



















![]()





















By Michael Rogers, DDS Fairlington Dental
Entire books have been written about the negative effects mouth breathing has on our health. This article will help the reader understand just one of these negative effects: jaw growth and development.
When we breath through our mouth, whether because of nasal obstruction or out of habit, we are creating a situation which causes our upper jaw to become more narrow than normal. This is especially true if mouth breathing
occurs during growth and development. As we grow, the tongue is supposed to act as a natural palate expander, counteracting the equal and opposite forces of the lips and cheeks pressing down and in. If the tongue is forced down so we can get air, which is our most immediate need, then the roof of the mouth still grows but in a distorted shape. It becomes narrower than genetically programmed and the palate grows higher than normal. This eventually becomes a selfperpetuating problem because the roof of the mouth is also the floor of the nose. So a high, narrow palate leaves less room in the nose for air to pass and eventually mouth breathing becomes the only way to get air to our lungs.
High narrow palates result in less room for the teeth, creating crowding and misaligned teeth. A narrow palate usually results in an exaggerated overbite, because
the growth of the lower jaw is not as affected by tongue posture as the upper jaw. If the upper jaw isn’t somewhat larger than the lower jaw to allow the lower jaw to fit directly underneath it, then the lower jaw tends to be forced further back.
When the lower jaw sits further back, this can lead to jaw joint problems know as TMJD (temporo-mandibular joint dysfunction.) TMJD symptoms include clicking and popping of the jaws, headaches, neckaches, backaches, jaw pain, and forward head posture. Also, with the lower jaw further back, the tongue is forced into the throat making the airway smaller and often leading to sleep apnea later in life, an unhealthy condition where the patient stops breathing due to tongue obstruction during sleep.
Traditionally, dentists and orthodontists have just accepted the
size of the upper jaw as-is and dealt with the consequences by extracting teeth. Physicians have dealt with sleep apnea caused by small palates by using CPAP (continuous positive airway pressure) machines to keep people breathing.
Fortunately, small narrow palates can be prevented if treated during the growing years with retainer-like devices to counteract the lip and cheek pressure. Small narrow palates in adults can also be treated with oral devices like the DNA appliance, which can encourage jaw growth even in fully grown adults. I can personally relate to this topic because I grew up breathing through my mouth due to severe allergies as a child. This led to orthodontic problems treated by extracting teeth, TMJ problems later in life, and eventually sleep apnea, which I have now managed to eliminate using the DNA appliance.


At Fairlington Dental, we understand the connection between a healthy smile and a healthy body. As a result, we look at the whole person to discover the reasons a patient may have gum disease or a bad bite. A number of studies link heart disease and other serious conditions to the presence of periodontal (gum) disease. This research makes it vital that we take a Complete Health approach to your dental care. Dr. Rogers will listen to you, conduct a careful assessment, and carefully explain your proposed customized wellness plan. He will then take the time to answer all of your questions. You become a partner in your oral health goals!
Our team has mastered the techniques of gentle dentistry and is skilled at helping patients with any level of apprehension relax and grow comfortable with visiting the dentist. Anxiety and tension have a variety of sources, so it’s important for us to listen to your concerns as well as your goals and history. Then we address your anxieties and proceed with gentle treatment only when you’re ready. We deliver all of this in an office that is environmentally aware, while you enjoy a variety of spa-like amenities during your visit. One of our greatest joys is helping patients smile again, especially those who may not have seen a dentist in a while. You’ll be amazed at how the quality of life can change! We strive to create a partnership with you that starts the moment you walk through our door.

By Netsere Tesfayohannes, MD, ABA, ABAP Georgetown Pain Managment
In the United States this year, 700,000 people and one out of every four post-menopausal women will suffer from a painful bone injury called a vertebral compression fracture. This common type of bone injury results in the collapse of a vertebra, a type of bone that makes up the spine. Although there is a safe, effective, and minimally invasive therapy available, two-thirds of these fractures fail to be diagnosed. This is unfortunate, as missing this condition can result in under-treated pain, limitations on daily activities, breathing problems, and dependence on dangerous pain medications.
Bone density in both women and men starts to decrease after age forty, but the loss of density greatly accel erates after women enter menopause and can progress to osteoporosis, a disease characterized by very low bone density. Although most compres sion fractures occur in patients with osteoporosis, one-third of vertebral compression fractures occur in pa tients without osteoporosis.
If a fracture occurs suddenly, patients can experience sudden severe back pain that often wraps around the sides and is felt in the chest. Because of this, it is sometimes confused with diseases of the heart or the lungs. The pain is often worse when standing, sitting-up, or walking around. If very severe, the patient can have trouble breathing.
kyphoplasty that can quickly, safely, and effectively treat a patient’s pain without the long-term use of opioids and other pain medications.
If an acute compression fracture is present on an MRI, a patient should be referred to a pain management physician or another physician who performs kyphoplasty. This procedure can often be performed in a doctor’s office, preventing the need for an overnight stay in a hospital. On the day of the procedure, the patient is given a medicine to relax and then is asked to lie on their belly. An x-ray machine
is then used to locate the fractured bone and a narrow tube is placed into it through a very small opening in the skin. A small balloon is inflated within the bone to create a small space and the fracture is then filled with bone cement. The entire procedure can take as little as 45 minutes. Many patients feel immediate pain relief and are able to return to their daily lives the day after the procedure. However, some patients may take a week or longer to feel better.
Kyphoplasty most successfully reduces a patient’s pain within two



Patients who have symptoms of a fracture should see their doctor for evaluation. After an examination that suggests a vertebral compression fracture, they will often be sent for an MRI. This imaging shows the level of the fracture and also reveals whether it is old or new. Some doctors treat compression fractures with pain medicine, physical therapy, and bracing. However, many cases continue to cause severe pain and long-lasting health effects unless treated more definitively. Unfortunately, many patients and physicians are not aware that there is a minimally invasive procedure called

weeks following a fracture. Unfortunately, if the window of opportunity is passed, the pain can become more challenging to treat and further complications can occur.
If you think you or someone you care about is experiencing symptoms of a vertebral compression fracture, be reassured that there are safe, effective, and minimally invasive therapies available. Schedule an initial pain evaluation at Georgetown Pain Management to determine if you’re eligible for kyphoplasty or other pain therapies. Most insurances are accepted and new patient evaluations are currently being scheduled. As awareness of this condition increases and more patients are offered kyphoplasty as a minimally-invasive therapy, it is hopeful that fewer patients will have to live with the severe pain that results from vertebral compression fractures and can return to their full lives more quickly and comfortably than before.
Sreenivasan, DMD, MDS
17 | Mindfulness and Movement | By Dr. Tiffany Daniel 19 | Shirin-yoku Forest Bathing and Fertility | By Yemi Adesanya-Famuyiwa, MD
22-31 | Featured Complementary & Integrative Healthcare + Colon Cancer Awareness
32 | Traditional Chinese Medicine For Epilepsy | By Quansheng Lu, CMD, PhD, LAc
32 | Healthy Eating For the Family | By Janet V. Johnson, MD
33 | A Gentle Touch: The Comfort and Health Of Dental Lasers | By Karl A. Smith, DDS, MS
35 | Ensuring Healthy Smiles and Sound Sleep For Your Child | By Lynda Dean-Duru, DDS
36 | Who’s At Risk For Colon Cancer? | Submitted By Gastro Center of Maryland
38 | How Outsourcing Key Services Can Transform Your Medical Practice | Submitted By MedPro
39 | Non-Extraction Orthodontic Treatment | Submitted By Let’s Smile Dental
43 | Grounding Mats and Sheets: Can They Support Your Well-Being? | Submitted by ScholarsHub.net

SERVING MARYLAND & VIRGINIA Since 1990
Your Health Magazine is on a mission. There are far too many people, insured or not, who do not go to the doctor when they should, and in millions of cases, don’t know who they should go to, or why.
People are encouraged to buy a new house, car, cell phone or big screen TV, and those companies make themselves very visible and their products easily attainable.
Information about, and from, local healthcare providers is not easy to find, and many times those services are difficult to access.
Information and encouragement always lowers fear and trepidation about anything, and this is especially true in healthcare. While general information is available on web-sites, specific information from local providers is almost impossible for people to find. This is one of the key reasons chronic and episodic conditions are not cared for. It is our mission to:
Make A Difference By Empowering and Encouraging People To Live Healthier By Going To the Doctor When They Should.
There is a lot of evidence that the health professionals who participate in Your Health Magazine have helped many people over the years. We at Your Health Magazine salute you!
G. Scott Hunter, Editor-in-Chief
If you would like to find out how you can participate in one of our upcoming editions, please contact the office nearest you.
MARYLAND & WASHINGTON, DC OFFICE One Town Center 4201 Northview Drive, Suite 102 Bowie, MD 20716 Office (301) 805-6805 • Fax (301) 805-6808 info@yourhealthmagazine.net
VIRGINIA OFFICE Office (301) 805-6805 info@yourhealthmagazine.net
© Your Health Magazine, 2025. The magazine and all of its contents are protected by copyright. For permission to reproduce any materials in this magazine, contact info@yourhealthmagazine.net
EDITOR-IN-CHIEF
Gregory Scott Hunter


By Jacqueline D. Griffiths, MD
NewView Laser Eye Center
A cataract is a clouding of the lens inside the eye, causing vision loss that cannot be corrected with glasses, contact lenses or corneal refractive surgery like LASIK.
In cataract surgery, the lens inside your eye that has become cloudy is removed and replaced with an artificial lens (called an intraocular lens, or IOL) to restore clear vision.
The procedure typically is performed on an outpatient basis and does not require an overnight stay in a hospital or other care facility. Most modern cataract procedures involve the use of a high-frequency ultrasound device that breaks up the cloudy lens into small pieces, which are then gently removed from the eye with suction.
What Is the Femtosecond Laser?
Recently, a number of femtosecond lasers – similar to the lasers used for LASIK – have been approved by the FDA for use in cataract surgery to do the following steps:
• Creating corneal incisions to allow the surgeon access to the lens
• Removing the anterior capsule of the lens
• Fragmenting the cataract (so less phaco energy is required to break it up and remove it)
• Creating peripheral corneal incisions to reduce astigmatism (when needed)
A femtosecond laser can also be used to perform some of the steps of surgery to remove a clear lens or refractive lens exchange (RLE), and to make arcuate incisions in the cornea (AK) to reduce astigmatism. There are benefits and risks associated with the use of the laser, and there may be additional costs.

What Are the Possible Benefits?
Traditionally, the eye surgeon uses blades to create the incisions in the cornea (the front window of the

eye), and other special instruments to create the capsulotomy (the circular incision in the outer layer of the cataract or clear lens). The surgeon also uses a phacoemulsification device that utilizes ultrasound power to break up the lens and remove it from the eye. The femtosecond laser can be used to perform some or all of these steps.
The possible benefits of the laser include the ability to make more precise and consistent incisions in the cornea, a more circular and centered capsulotomy, and to pre-soften the cataract so less ultrasound energy is necessary with the phacoemulsification device.
Patients with astigmatism have several choices for the reduction of astigmatism. Nonsurgical options for astigmatism correction include glasses and contact lenses. Surgical correction of astigmatism can be achieved through a toric intraocular lens, a limbal relaxing incision (LRI) made manually with a blade, or an arcuate incision made with the femtosecond laser (AK). Refractive surgery such as LASIK or PRK can also treat astigmatism. The shape and size of incisions made with the laser may be more precise.

Jacqueline D. Griffiths M.D. earned her undergraduate degree at Yale and her medical degree from the University of Michigan. Her Ophthalmology residency was completed at Georgetown University Medical Center.
Dr. Griffiths has been in private practice since 1994. She started her own practice and laser center, NewView Laser EyeTM in 1999 where she serves as the Medical Director. NewView’s Mission is to provide Excellence in Ophthalmologic services by giving personalized attention to every patient.
Dr. Griffiths is Board Certified and began performing laser vision correction practically from its inception in this country. She has performed thousands of cases and participated with the CRS-USA LASIK trials to get the LASIK procedure approved by the FDA.
In addition to offering CustomVue LASIK and EpiLase, NewView offers CKSM, no-stitch cataract surgery, annual eye exams, contact lenses, glaucoma and diabetic screening exams, and cosmetic services including Botox, Restylane, Radiesse, Juvederm, and eyelid surgery. NewView Optical offers affordable high quality frames and lenses for the entire family (ages 5 and older).
Dr. Griffiths is the former Ophthalmology Section Chief of Reston Hospital Department of Surgery, the former Chief of Ophthalmology for the Reston Ambulatory Surgical Center in Reston, VA as well as Loudoun Hospital in Leesburg, VA, Diplomate of the American Board of Ophthalmology, a Fellow of the American Academy of Ophthalmology, a member of the American Society of Cataract and Refractive Surgery, the Washington National Eye Center and others.


By Shari Salartash, DDS, MAGD
Dynamic Dental Wellness
In our rapidly evolving world, new insights into health and wellness continue to emerge, emphasizing the importance of holistic approaches to healthcare. One such field that has gained significant recognition is integrative dentistry—also known as holistic or functional dentistry—which focuses on the profound connection between oral health and overall well-being. Unlike conventional dentistry, which often addresses symptoms in isolation, integrative dentistry seeks to identify and treat the root causes of oral health issues, employing minimally invasive techniques and biocompatible materials to promote long-term wellness.
A Holistic Approach To Oral and Systemic Health
Integrative dentistry prioritizes the use of safe, non-toxic materials, such as BPA-free composites, mercury-free fillings, and low-dose radiation imaging, ensuring that dental treatments support rather than compromise overall health. Furthermore, integrative dentists collaborate with other healthcare professionals—such as nutritionists, sleep specialists, cardiologists, and functional medicine doctors—to develop comprehensive treatment plans that optimize both oral and systemic health.
Rather than viewing the mouth as an isolated system, integrative dentists recognize its profound influence on critical bodily functions, including digestion, cardiovascular health, immune function, and metabolic regulation. By addressing conditions such as sleep apnea, gut imbalances, autoimmune disorders, and chronic inflammation through a dental-health-centered approach, integrative dentistry
fosters whole-body healing and disease prevention.
The Mouth: More Than Just a Gateway For Food and Drink
Oral health is frequently overlooked as a key determinant of overall wellness. However, scientific research underscores the mouth’s direct connection to vital organs and systemic health. The oral microbiome—comprising beneficial and harmful bacteria— plays a crucial role in maintaining balance within the body. While pathogenic bacteria can contribute to disease, beneficial bacteria aid in digestion, immune regulation, and metabolic health. Integrative dentists emphasize the importance of preserving this delicate microbial balance through proper nutrition, lifestyle adjustments, and personalized dental care.
Oral Dysbiosis and Its Far-Reaching Consequences
When microbial imbalances occur in the oral cavity—known as oral dysbiosis—the resulting chronic inflammation can contribute to a variety of systemic diseases, including:
• Cardiovascular Disease: Certain high-risk oral bacteria have been linked to arterial inflammation, increasing the likelihood of plaque deposits, bad cholesterol, and cardiovascular conditions such as coronary artery disease and stroke.
• Diabetes and Insulin Resistance: Chronic inflammation caused by oral dysbiosis exacerbates insulin resistance, complicating the management of both type 1 and type 2 diabetes.
• Cognitive Decline (Alzheimer’s and Parkinson’s): Studies suggest that heightened oral inflammation contributes to dementia, with specific bacteria such as Streptococcus mutans associated with cerebral inflammation. Emerging research also points to oral pathogens playing a role in the early development of Parkinson’s disease.
• Immune Dysregulation: A
balanced oral microbiome is essential for a properly functioning immune system. Dysbiosis has been linked to autoimmune disorders, as chronic inflammation weakens the body’s ability to fight infections and regulate immune responses.
• Cancer Risk: Research indicates that bacteria associated with periodontal disease have been identified in gastrointestinal and colon cancers. Chronic inflammation—a hallmark of dysbiosis—is a known risk factor for various forms of cancer, reinforcing the need for proactive oral health care.
Achieving optimal oral and health requires a multifaceted approach that prioritizes maintaining a balanced oral microbiome. Here are some key strategies:
• Adopt a Comprehensive Oral Hygiene Routine: Brushing at least twice daily with a nanohydroxyapatite toothpaste helps strengthen enamel, reduce sensitivity, and create an environment unfavorable for harmful bacteria. Flossing or using a water flosser removes plaque and debris from areas a toothbrush cannot reach.
• Avoid Commercial Mouthwashes: Many conventional mouthwashes contain alcohol and harsh chemicals that disrupt the balance of the oral microbiome, eliminating both beneficial and harmful bacteria. Instead, opt for natural alternatives that support microbial health.
• Prioritize Healthy Sleep: Poor sleep quality, particularly in individuals who breathe through their mouth or suffer from sleep apnea, contributes to gum disease and oral health deterioration. Addressing sleep issues with an integrative dentist can significantly improve oral and systemic health.
• Follow a Nutrient-Rich Diet: A diet rich in whole, unprocessed foods supports microbial
diversity and reduces inflammation. Reducing refined sugar and processed carbohydrates while incorporating fermented foods and antioxidants helps sustain a healthy oral and gut microbiome.
• Stay Hydrated: Drinking ample water promotes saliva production, which is essential for neutralizing acids, remineralizing teeth, and maintaining bacterial balance in the mouth.
• Engage in Regular Movement and Exercise: Physical activity plays a crucial role in circulation and overall health, including oral well-being. Jaw and facial exercises, such as chewing firm foods, tongue exercises, and myofunctional therapy, can help strengthen the jaw muscles, improve alignment, and enhance breathing function. Proper movement and posture also support airway health, reducing issues such as sleep apnea and TMJ disorders.
• Seek Integrative Dental Care: Consulting with an integrative dentist allows for a personalized approach to oral health, addressing root causes rather than merely treating symptoms.
A Path Toward Holistic Wellness
Integrative dentistry bridges the gap between oral health and whole-body wellness, emphasizing prevention, biocompatibility, and collaboration with other medical disciplines. By acknowledging the intricate relationship between the mouth and the rest of the body, patients can take proactive steps toward lasting health. Partnering with an integrative dentist is an investment in not only a healthier smile but also a stronger, more resilient body.
Through comprehensive care and informed lifestyle choices, individuals can cultivate an optimal oral microbiome, reduce systemic inflammation, and enhance their overall quality of life.

By Ashley Pimperl MSN, CRNP, FNP-C Oasis Advanced GYN Surgery
Menopause marks a significant transition in a woman’s life, representing the end of her reproductive years. This natural biological process typically occurs between the ages of 45 and 55, with the average onset around 51. It is defined as the point when a woman has not had a menstrual period for 12 consecutive months.
Symptoms and Stages
Menopause is often preceded by perimenopause, a phase that can start several years before the last menstrual period. During perimenopause, women may experience irregular periods, hot flashes, night sweats, mood swings, and sleep disturbances. These symptoms result from fluctuating hormone levels, particularly estrogen and progesterone.
Once a woman reaches menopause, she enters postmenopause. In this phase, many of the symptoms experienced during perimenopause gradually diminish. However, some women may continue to experience hot flashes and other symptoms for years after their last period.
Health Implications
Menopause brings several health considerations. The decline in estrogen levels can increase the risk of osteoporosis, a condition where bones become brittle and fragile. Women in postmenopause are also at a higher risk for cardiovascular diseases due to changes in cholesterol levels and blood pressure. Moreover, menopause can affect mental health. The hormonal changes can contribute to mood swings, anxiety, and depression. Sleep disturbances, common during this period, can further exacerbate these issues.
Managing menopausal symptoms often involves lifestyle changes and medical treatments. A balanced diet rich in calcium and vitamin D, regular physical activity, and maintaining
a healthy weight can help mitigate some of the risks associated with menopause. For hot flashes and night sweats, dressing in layers, keeping the bedroom cool, and practicing relaxation techniques can provide relief.
Hormone Replacement Therapy (HRT) is a medical treatment option that involves supplementing estrogen and progesterone to alleviate symptoms. However, HRT is not suitable
for everyone and can have side effects. It’s essential to discuss the risks and benefits with a healthcare provider.
Non-hormonal treatments, such as antidepressants or medications to prevent bone loss, may also be considered. Additionally, herbal supplements and alternative therapies, like acupuncture, have been used by some women to manage symptoms, though their effectiveness varies.
Menopause is a natural part of aging, bringing both challenges and opportunities for women to focus on their health. Understanding the stages, symptoms, and management options can help women navigate this transition with greater ease and confidence. Regular check-ups and open communication with healthcare providers are crucial in managing menopausal health effectively.




same day or next day appointments. Request a consultation with Dr. Baxi.

By Elambert Richardson
Elon Roshell Day Spa & Health
Hyperbaric Oxygen Therapy
(HBOT) is gaining recognition in the world of integrative health as a pow-
erful tool for enhancing the body’s natural healing process. By delivering oxygen at higher-than-normal atmospheric pressure, HBOT increases the amount of oxygen dissolved in the blood, reaching tissues that may be deprived due to injury, illness, or inflammation. This non-invasive treatment has been used for decades in hospitals for wound care, but it is
now being widely adopted in wellness clinics and holistic health practices for its broad range of benefits.
How HBOT Works
During an HBOT session, individuals enter a sealed chamber where pure oxygen is delivered under increased atmospheric pressure. This process allows oxygen to penetrate deeper into body tissues, promoting cell regen-




eration, reducing inflammation, and stimulating the immune system. Unlike breathing oxygen at normal pressure levels, HBOT ensures that oxygen is carried efficiently even to areas with limited circulation, supporting recovery from various conditions.
Key Benefits Of HBOT Therapy HBOT is well-known for its ability to accelerate recovery from injuries, support neurological function, and enhance overall well-being. Some of its most significant benefits include:
Improved Circulation and Healing: HBOT enhances blood flow and oxygenation to tissues, making it particularly beneficial for individuals recovering from surgery, injuries, or chronic wounds.
Neurological Support: Emerging research suggests that HBOT may aid in cognitive function and neuroprotection. It is commonly explored for its role in managing symptoms of traumatic brain injury (TBI), stroke recovery, and neurodegenerative conditions.
Inflammation Reduction: Many chronic conditions are linked to systemic inflammation. HBOT helps reduce swelling and oxidative stress, making it a useful adjunct therapy for conditions such as arthritis, autoimmune diseases, and chronic pain.
Immune System Boost: By increasing oxygen availability, HBOT helps the body fight infections more effectively. This is particularly relevant for individuals with weakened immune systems or those recovering from bacterial infections.
Sports Recovery and AntiAging: HBOT has gained traction in the athletic community for its ability to speed up muscle repair, decrease fatigue, and enhance performance. Additionally, it is being used in longevity and anti-aging protocols due to its effects on cellular health.

HBOT is a safe and effective therapy that integrates well with other holistic health approaches. With advancements in chamber technology, individuals now have access to highquality options that provide enhanced comfort, precise pressure control, and optimized oxygen delivery. Whether used for recovery, wellness, or performance, HBOT continues to be a valuable tool in integrative medicine, supporting the body’s innate ability to heal.










By Marc P. Stanard, DDS, PC
Maintaining optimal dental health involves a deep understanding of various procedures, including teeth extractions, bone grafting, and implant placement. These procedures play a crucial role in restoring oral function and aesthetics, ensuring a healthy and confident smile.
Teeth extractions are often necessary due to severe decay, trauma, or periodontal disease. However, extraction alone may lead to bone loss over time. To prevent this, concurrent bone grafting or guided bone regeneration (GBR) is recommended. GBR helps preserve the natural bone structure by promoting new bone formation, creating a
stable foundation for future dental implants.
When considering delayed implant placement after an extraction, it’s essential to understand the significance of bone grafting. This procedure enhances bone volume and density, ensuring the implant has a solid foundation for long-term success. The bone grafting process involves placing biocompatible materials into the extraction site, covering it with either a dissolvable and/or non-dissolvable membrane. This membrane holds the space for bone growth and prevents the downgrowth of soft tissue into the socket, maintaining or enhancing the overall integrity of the jawbone. It stimulates new bone growth, contributing to the overall health and stability of the jawbone.

Immediate implant placement is another option that has gained popularity in recent years. This approach involves placing a dental implant immediately after extraction. Strict adherence to specific guidelines is crucial to ensure the success of immediate implant placement. Factors such as an atraumatic extraction, lack of the presence of a large infection, sufficient initial stability, appropriate bone quality and quantity, and infection control are essential considerations in this procedure.
Ridge augmentation is recommended in cases where significant bone loss has occurred, leading to a reduced ridge height or width. This procedure aims to restore the natural contour of the jaw, providing a stable foundation for dental implants.
Ridge augmentation involves grafting materials, with at times the use of growth factors to stimulate and rebuild the lost bone, creating an environment conducive to successful implant placement.
Understanding the interplay between teeth extractions, bone grafting, and implant placement is vital for comprehensive dental health. Whether opting for immediate or delayed implant placement, the incorporation of bone grafting techniques ensures a stable and durable foundation, contributing to longterm oral well-being and a confident smile. Regular consultations with a dental professional are essential to determine the most suitable treatment plan based on individual needs and oral health conditions.
Maintaining good dental hygiene is crucial, and Dr. Marc Stanard, a periodontist and specialist in surgical implant dentistry, can help you achieve healthy teeth comfortably. We offer a wide range of specialized procedures and services to cater to your periodontal needs, such as bone surgery, scaling, and root planing, gum grafts, crown lengthenings, and sinus lifts.
• We provide advanced, affordable dental care tailored to meet your unique needs.
• Our team offers oral hygiene instruction and education on gum disease, bone loss, and other dental health conditions.
• Dr. Marc Stanard has decades of experience and a passion for his work, and he’s earned numerous designations, affiliations, and awards, including Top DDS by Washingtonian and high ratings on Google and Yelp.
• Our office is friendly and welcoming, making it the perfect place to receive top-quality dental care.


By Lubrina Bryant, DPM District Podiatry, PLLC
Foot pain can stem from various conditions, including plantar fasciitis, bunions, flat feet, arthritis, or injuries like sprains and fractures. Even seemingly minor discomfort can significantly impact daily activities, affecting mobility, balance, and overall quality of life. Chronic foot pain may also lead to compensation issues, causing pain in the knees, hips, or back. Ignoring persistent pain can worsen underlying conditions, making treatment more complex.
Addressing foot pain begins with identifying the cause. Rest, proper footwear, and targeted stretching exercises can help in mild cases. Custom orthotics or surgical intervention may be necessary for persistent or severe pain. Early intervention is key to preventing long-term complications. If foot pain disrupts your routine, it is suggested that you consult a podiatrist for an accurate diagnosis and an effective treatment plan tailored to your needs.
Foot pain can be extremely painful and debilitating. If you have a foot pain, consult with your local podiatrist. Your podiatrist will assess your condition and provide you with quality foot and ankle treatment.
Causes
Foot pain is a very broad condition that could be caused by one or more ailments. The most common include:
• Bunions
• Hammertoes
• Plantar Fasciitis
• Bone Spurs
• Corns
• Tarsal Tunnel Syndrome
• Ingrown Toenails
• Arthritis (such as Gout, Rheumatoid, and Osteoarthritis)
• Flat Feet
• Injury (from stress fractures, broken toe, foot, ankle, Achilles tendon ruptures, and sprains)
• And more
To figure out the cause of foot pain, podiatrists utilize several different methods. This can range from simple visual inspections and sensation tests to X-rays and MRI scans. Prior medical history, family medical history, and any recent physical traumatic events
will all be taken into consideration for a proper diagnosis. Treatment Treatment depends upon the cause of the foot pain. Whether it is resting, staying off the foot, or having surgery; podiatrists have a number of treatment options available for foot pain.


By Kari Bailey, MD Anne Arundel Urology
Urologic malignancies encompass a range of cancers that affect the urinary system, including the kidneys, bladder, ureters, prostate, and testicles. These cancers present unique challenges in diagnosis, treatment, and management, making awareness and education essential for both patients and healthcare providers.
Kidney Cancer: Renal cell carcinoma (RCC) is the most common type of kidney cancer. Risk factors include smoking, obesity, and hypertension. Symptoms may include blood in urine, persistent back pain, and unexplained weight loss. Early detection is crucial, often achieved through imaging studies such as ultrasound or CT scans.
Bladder Cancer : This is characterized by malignant growths in the bladder lining. The most common symptom is hematuria (blood in urine). Risk factors include smoking, exposure
to certain chemicals, and chronic bladder infections. Diagnosis often involves cystoscopy and biopsy, while treatment may include surgery, chemotherapy, or immunotherapy.

Prostate Cancer: One of the most prevalent cancers among men, prostate cancer typically grows slowly and may not present symptoms in early stages. Risk factors include age, family history, and race. Screening methods like PSA (prostate-specific antigen) tests are vital for early detection. Treatments vary from active surveillance to surgery and radiation therapy.


Testicular Cancer : Although rare, testicular cancer is the most common cancer in young men aged 15 to 35. Symptoms might include a lump in the testicle, swelling, or discomfort. Self-examinations are encouraged for early detection as early stage cancers have cure rates above 90%. Treatment usually involves surgery, and may involve chemotherapy and radiation.
Ureteral Cancer : This malignancy affects the ureters, the tubes connecting kidneys to the bladder. Symptoms can be similar to those of kidney or bladder cancer. Diagnosis often requires imaging and biopsy. Treatment options depend on the stage and location of the cancer.
Risk Factors and Prevention
Understanding risk factors is crucial for prevention and early detection. Modifiable factors include lifestyle choices such as smoking cessation, maintaining a healthy weight, and regular exercise. Additionally, awareness of family history can guide individuals in discussing screening options with their healthcare providers.
Diagnosis and Treatment
Diagnosis of urologic malignancies typically involves a combination of physical exams, imaging tests, and laboratory tests. Biopsies are often necessary to confirm the presence of cancer. Once diagnosed, treatment plans are tailored to the individual’s needs and may involve surgery, radiation therapy, chemotherapy, or targeted therapies.
Early detection significantly improves the prognosis for patients with all types of cancer, including urologic malignancies. Regular check-ups and discussions about risk factors and symptoms with healthcare professionals based on your individual lifestyle and habits. For instance, men over 50 or those with a family history of prostate cancer should consider regular screenings with PSA and/or DRE.


Submitted By Sivakumar Sreenivasan, DMD, MDS
Dental Implant Center of Rockville
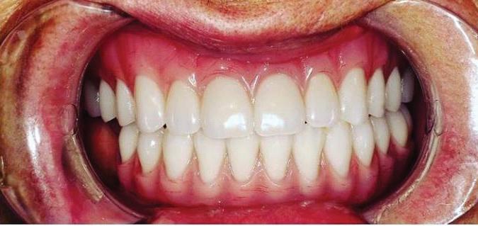
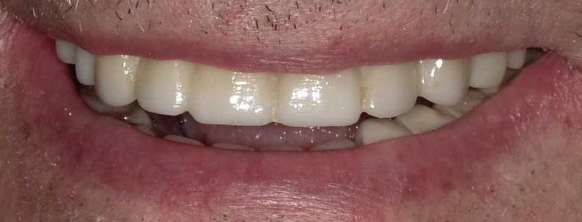
Can just four implants replace all of the teeth on the top or the bottom of your mouth? Thanks to advances in dental implant technology, that answer is a resounding yes.
Believe it or not, tooth loss is extremely common among adults, especially as we age. In fact, more than 35 million people in America are missing all of their upper and/or lower teeth. Rather than living with the discomfort and hassles of dentures, many people are opting for what is called “all-onfour” dental implant restoration.
All-On-Four: One Full Arch Of Teeth, Four Dental Implants
To fully understand this remark-
able technique for replacing teeth, you should first understand what a dental implant is. An implant is a small titanium screw that fits inside your jawbone and replaces the root-part of a missing tooth. Minor surgery is required to insert the implants. Once the implant is in place, a crown is attached to give you a highly realistic-looking and functional prosthetic tooth.
Here’s where it gets really interesting: You do not need a dental implant for each and every one of your missing teeth. All you need is four precisely placed implants on the top of your mouth, and four on the bottom, to restore your full smile. That’s the beauty of the all-on-four. And because the implant is made of titanium, it has the unique ability to fuse to living bone and function as part of it. So eventually, the dental implant becomes part of the jawbone and serves as a strong, long-lasting foundation for your new teeth.
Besides ensuring that your implants are permanently fixed in place,


Missing Teeth or Tired of Wearing Dentures?
Thanks to advances in dental implant technology, just four implants can replace all of the teeth on the top or the bottom of your mouth.
this bone fusion has another important benefit: it prevents future bone loss in the jaw. This helps to maintain a more youthful facial structure – and better oral health. But perhaps the biggest surprise about the all-on-four is how quickly it can transform your life.
What’s The All-On-Four Dental Implant Procedure Like?
It can be scary to get implants for the first time. Most of that fear is probably due to the uncertainty, so here is the step-by-step process for getting an All-On-Four dental implant.
First, your dentist will want to make sure your comfortable, so either local or general anesthesia will be administered.
Second, the dentist or surgeon will prepare your mouth for the implants, which involves removing your remaining teeth that are failing. They will then remove any diseased or infected tissue from your jaw and gums.
Next, they will begin the implantation process. This means they will



insert the titanium screws into your jawbone. Most likely, they will place two implants toward the front of your mouth and two towards the back of your mouth so the “anchors” can evenly bare the force of the denture.
After the implants have been placed, they will thoroughly clean the surgical sites and suturing all the incisions. Then you’ll be taken to a recovery room where you can relax and take time to wake up from the anesthesia.
How Do You Know If The All-On-Four Procedure Is The Right Option For You?
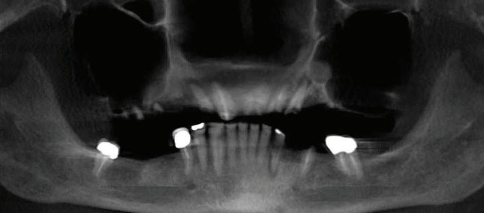
At your All-On-Four consultation, you’ll receive a 3D CT Scan. This scan will help determine if you need implants and assist your doctors in creating your treatment plan. So if you want to learn more about dental implants, simply schedule a consultation with an All-On-Four provider. It’s the best way to find out how dental implants can change your life.


By Tiffany Daniel Live To Day Wellness
The majority of our clients suffer from chronic pain or trauma which inhibits them from conducting their daily living activities or reaching their goals of being pain and stress free.
Mindfulness and movement can be combined together to complement the primary care provider’s prescribed treatment. So many clients are living with chronic pain, trauma, and disease that it has become a common household topic.
Today some of the most popular practices for well-being are through equine training, therapeutic horticulture, meditation and yoga. All the above can provide forms of mindful movement.
Mindfulness is a mental state achieved by focusing one’s awareness on the present moment, while calmly acknowledging and accepting one’s feelings, thoughts, and bodily sensations, used as a therapeutic technique.
Mindful movement can be described as any movement activity that is practiced mindfully, by giving attention, presence, and intention to whatever the form of movement may be. It can be accomplished through activities such as equine therapy, gardening, walking, yoga, etc,. to name a few.
We implement programs geared toward individual needs to glean from the incentives gathered from the practice of mindfulness.
Mindful Resilience (MR), or therapeutic yoga is a program that was developed by Dr. Dan Libby of the Veteran Yoga Project (VYP) which includes practices that have been chosen based on the feedback of hundreds of veterans and active service members who suffer from the aftereffects of combat or other trauma. MR programs report improvements in mood, impulse behavior, irritability, concentration, and sleep.
There are five parts to Mindful Resilience training:
• Breathing – Techniques that can help relieve anxiety and can be used
anywhere and anytime.
• Meditation – Enhances focus and concentration, settles the mind, and promotes a sense of wellbeing.
• Mindful Movement – Postures that bring the body through its natural range of motion to enhance strength and flexibility and reinforce the connection between mind and body.
• Guided Rest – Guided exercises can lead to deep and profound relaxation.
• Gratitude – Simple practices that promote a positive outlook.
Equine Facilitated Therapy, used for personal development and learning can be used effectively for

both adults and youth where they are offered social activities based on their horse experience. This type of training provides positive results to improve cognitive functions including strategies for organized behavior and self-awareness with mindfulness skills as a recovery tool for individuals under enormous amounts of stress.
This therapy is also known to be beneficial in improving motor skills for those seeking treatment for cerebral palsy, Downs syndrome, autism, and sensory integration disorder. When this type of therapy is offered, we partner with equine and physical therapist.
Therapeutic Horticulture, uses
plants and outdoor environments to achieve the mindfulness health goals. The American Horticulture Therapy Association (AHTA) defines therapeutic horticulture as “the process through which participants enhance their well-being through active or passive involvement in plant-related activities. Nonetheless, there have been breakthroughs reported for eating disorders, PTSD, depression, anxiety, developmental disabilities, dementia, brain injury, cancer, and physical disabilities. And lastly rest, walking and water, will never steer you wrong. So let’s relax and let it go.
Degrees: BS in Psychology, MDiv; Doctorate in Christian Education, EdD
Certificates: Behavioral Health and Nutrition, Personal & Small Group Fitness Instructor, Certified Health & Wellness Coach, IIN Alumni, MRT & SEL(F) Instructor,
Yoga 200Level and Zumba Instructor
Training: Mindful Movement and Breathwork
Areas of Interest: Healthy Eating and Regular Exercise
Specialties: Nutrition, Meal Planning, Weight Loss, Rehabilitation and Maintenance, and Standards for Excellence Licensed Consultant
Practice Philosophy: Your Health is Your Wealth
Hosts a monthly women veterans peer support group with Peer Outreach Solutions, Inc., (Posi) for Sista’s of the Posi.
Give An Hour, Ambassador supporting veterans and their families.
Veteran Yoga Project, State Director for Yoga - MRT
Breathe for Change, Yoga Instructor Yoga - SEL(F)
Mental Health First Aid Certified
Hobbies: Reading, Researching Preventive Measures for Autoimmune Diseases and other Health Conditions plus Advocate for Veterans and Mental Health Awarenes





By Yemi Adesanya-Famuyiwa, MD Montgomery Fertility Center
Being in nature can be salubrious to your health. Nature is calming and restorative.
There is some physiology behind this phenomenon. The Japanese have long practiced the art of tree bathing or forest bathing. Walking through the woods for as little as 10 to 20 minutes can be extremely restorative.
Trees themselves release oxygen and soak up carbon dioxide in the atmosphere. We all know this and that’s why we encourage indoor plants. In addition to the oxygen being released
are chemicals called phytoncides.
It turns out trees release organic compounds called phytoncides. These chemicals help plants defend themselves against microbial infections, such as from bacteria or fungi, and protect them from invasion from certain insects.
The Japanese art of tree bathing enfolds you in the phytoncides released. These chemicals are also known to improve your immune system by increasing your natural killer cells activity.
Natural killer cells can marshal your body’s immune defenses against viruses and germs and protect you from even tumor formation. There is data that suggests that your increased natural killer activity after a trip to the forest can last for as much as 30 days.
In addition, these chemicals can help you fight off tumor invasion. They have anti-cancer proteins; they also help to lower your blood pressure and heart rate as well as stress hormones. They help to reduce anxiety as well as depression.
Tree bathing can decrease your stress levels which may help you in your fertility journey.




Our mission is to assist our patients in creating the families of their dreams, whether it be at the present or to maintain the possibility in the future.
Medical Director Dr. Famuyiwa, a double board certified fertility specialist and an advocate for personalized holistic fertility care, is at the forefront of providing state-of-the-art care based on emerging and advanced new technologies in the most compassionate of manners.
COSMETIC SURGERY
• Breast Augmentation
• Abdominoplasty (Tummy Tuck)
• Liposuction
• Hair Transplants
• Mommy Makeover
• Facial Surgery
NON-INVASIVE TREATMENTS
• Botox®, Dysport®, Xeomin®*
• BellaFill®
• Juvederm*
• Restylane®*
• TempSure Envi
• Endermologie
• Zerona
• Lipolight
LASER TREATMENT
• Hair Removal
• Vein Treatment
• Laser Resurfacing
WELLNESS SERVICES
• Bioidentical Hormones (BHRT)
• ED Treatment for Men
• Medical Weight Loss


4407 Willard Avenue Chevy Chase, MD 20815 (Across from the Friendship Heights Metro)


Choose Adventist Medical Group Primary Care in Fort Washington, Maryland, to provide a full range of primary care services for adults.
Learn to better manage your health and prevent illnesses with personalized care from our experienced, primary care providers. Our specialists in family medicine and internal medicine work as a team to deliver expert care when you need:
• Same-day Sick Visits
• Women’s and Men’s Health and Wellness Exams
• Health Physicals, Health Maintenance and Preventive Care
• Geriatric (Senior) Wellness Exams
• Vaccinations and Immunizations, including Flu Shots
• Health Management for:
• Asthma and Allergies
• High Blood Pressure
• High Cholesterol
• Diabetes
• Heart Disease
You also benefit from coordinated care that helps you effectively handle all aspects of your health—from preventive medicine and preoperative appointments to management of chronic health conditions.
To schedule an appointment, please call 240-724-6018
10709 Indian Head Highway, Suite D1 Fort Washington, Maryland 20744 AdventistMedicalGroup.org

After completing his fellowship in Colon and Rectal Surgery at Robert Wood Johnson University Hospital-Rutgers University, Rami Makhoul, MD, joined Holy Cross Health Hospital in 2014 to serve patients of the DMV area.
Upon graduating from medical school, Dr. Makhoul first completed his internship in General Surgery at the University of Massachusetts Medical School. He, then, completed his residency training in General Surgery at the George Washington University Hospital in Washington, DC.
During his residency training at GW, he spent a year in clinical research where he published some of his work on colon and rectal cancer, and the use of Robotic Surgery in various abdominal procedures performed in the Colon and Rectal Surgery field. He continued with his passion for research and published peer-reviewed articles during his fellowship training. Several of his work, was presented at national conferences including the American Society of Colon and Rectal Surgery, and the Society of American and Gastrointestinal and Endoscopic Surgeons annual conferences.
Dr. Makhoul diagnoses and treats various diseases of the colon, rectum, anus, and other parts of the GI tract using national standards and guidelines. He has a special interest in treating colon and rectal cancer using advanced surgical minimally invasive techniques including robotic, laparoscopic, and transanal minimally invasive surgery. Dr. Makhoul is Board Certified in both General Surgery and Colon and Rectal Surgery and is an active member of the American Society of Colon and Rectal Surgeons education committee.
As part of his commitment to surgical training and education, Dr. Makhoul serves as a Clinical Instructor of Surgery at the George Washington University. Dr. Makhoul is currently the chairman of the Department of Surgery at Holy Cross Hospital in Silver Spring. He also holds the position of Cancer Liaison Physician for Holy Cross Health, where he manages and overlooks clinically related cancer activities in collaboration with the Commission on Cancer and American Cancer Society. When he is away from the office, Dr. Makhoul may be found spending time with his family. Dr. Makhoul enjoys skiing, cycling, scuba diving, tennis, and traveling.


Dr. Matthew Skancke is a colon and rectal surgeon serving Maryland, Virginia and Washington, DC. Dr. Skancke grew up in Great Falls, VA earning his undergraduate degree in electrical and biomedical engineering at the University of Virginia’s engineering school. After engineering school he spent three years working for a Swiss based GPS company U-blox America while going to night school to finish his premedical degree. He then attended medical school at the University of North Carolina at Chapel Hill where he did basic science research of mesenchymal stem cells to progress the field of regenerative medicine. Dr. Skancke continued his General Surgery training at the George Washington University Hospital and subsequently did his Colon and Rectal Surgery Fellowship at the Cleveland Clinic.
During his training, Dr. Skancke has published over 24 peer reviewed publications, authored three book chapters, and presented over 45 times at national conferences in medicine and surgery. He has participated in clinical trials of bench top and mechanical sciences and is a member of the American College of Surgeons and the American Society of Colon and Rectal Surgeons. Dr. Skancke is Coard Certified in General Surgery and Colon and Rectal Surgery and is an active member of the American Society of Colon and Rectal Surgeons Quality and Safety National committee.
Outside of work, Dr. Skancke has found a new love for French cooking and North Carolina barbeque. To offset these vices, Dr. Skancke also enjoys running and powerlifting in his free time.


Fellowship Trained, Board Certified
GASTROENTEROLOGIST
Training, Degrees:
• UCLA (University of California – Los Angeles)
– Internal Medicine Residency
• Georgetown University – Gastroenterology Fellowship
Dr. Ebrahimi specializes in the diagnosis and treatment of the digestive tract:
• SCREENING COLONOSCOPY
• Esophagus
• Small Intestine
• Liver
• Nutrition
• Obesity
• Stomach
• Colon/Rectum
• Pancreas
• Weight Loss
• Hemorrhoids
• Gallbladder and Biliary Tree
• Gastrointestinal Malignancy
7247 Hanover Parkway, Greenbelt, MD 20770
Phone: 301-345-5877 Fax: 301-345-5608 Fax: 301-238-7964
aaybar@kidsgastro.com

Every patient and their parents are given the time they need during a consultation at Annapolis Pediatric Gastroenterology and Nutrition to fully understand what’s happening and ask any questions they may have. If your child needs to undergo any procedures, Dr. Aybar performs them at the Anne Arundel Medical Center in Annapolis, MD.
A board-certified pediatrician who specializes in pediatric gastroenterology after finishing his fellowship at University of Maryland. Dr. Aybar was born in Turkiye, and received his medical degree from the University of Istanbul. He completed an internship in pediatrics and adolescent medicine at the Cleveland Clinic Foundation Children’s Hospital and a Residency in pediatrics at Sinai Hospital in Baltimore, MD, where he served as chief resident. Dr. Aybar gained valuable experience working in several Baltimore Metropolitan Area hospitals as a pediatrician in the emergency department and as a pediatric hospitalist.



Dr. Brown’s practice focuses on TMJ, sleep apnea and orthodontics. This allows Dr. Brown and his team to provide individualized, focused care for patients dealing with these specific issues. Every day, his practice helps patients of all ages with facial development, sleep issues, chronic headaches, migraines, neck pain, movement disorders, and much more. His training also includes multiple disciplines involving the cranial bones in the skull, and the discs in the jaw joints. Through treatment, Dr. Brown is able to reduce these symptoms, align cranial bones, avoid extractions, and greatly reduce the need for traditional braces. His expertise allows him to identify issues early on which promotes proper facial development using dental appliances. If there is an internal imbalance, whether an adult or child, the body does not develop or function properly. When the cranial bones are lined up correctly, patients are able to function, sleep and generally live better.
With that in mind, the team at Sleep & TMJ Therapy takes a whole-body approach when treatment planning. They work hand in hand with physical therapists and osteopathic doctors for a better success rate. Dr. Brown is devoted to helping patients of all ages live a symptom free life.
Degrees & Certifications
Dr. Brown earned his degree from Georgetown Dental School and completed residencies with Emory University Hospital for Dental Sleep Medicine and the ALF Appliance Therapy Institute.
Outside the Office
When not seeing patients, Dr. Brown is a sought-after speaker. He has lectured all over the world, including D.C., Dubai, Seoul, London, Norway and Toronto. He has also been featured on Channel 9’s Good Morning Washington, several podcasts, and numerous magazines and journals.
Professional Affiliations
Dr. Brown is a diplomate of the American Academy of Craniofacial Pain, a member of the American Academy of Dental Sleep Medicine, American Academy of Gnathological Orthopedic, Academy of Integrative Pain Management American Dental Association, a Fellow of the American Academy of Craniofacial Pain, and Legacy Provider for the ALF Interface Academy.
Do you have TMD or Sleep Apnea?
TMD Symptoms: Noise in the jaw joints when opening and closing your mouth, difficulty chewing, limited opening, tender facial muscles, ear ringing, uncomfortable bite, jaw locking, headaches, migraines, dizziness, vision issues as well as pain in the jaw area which can radiate to the ears, head, neck, shoulders, and back.
Sleep Apnea Symptoms: Snoring, waking up gasping for air, feeling tired and irritable in the morning, difficulty controlling weight, concentration problems, morning headaches, episodes of not breathing, waking with a sore throat, forgetfulness and mood changes. If you believe you may be suffering from TMD or Sleep Apnea, don't wait... Call today to schedule a consultation with Dr. Brown: 703-821-1103.

Michael Rogers, DDS, is pleased to be able to offer beautiful smiles to his neighbors in Arlington and the surrounding communities. Dr. Rogers earned his dental degree from UCLA after graduating cum laude from Harvard University. Prior to entering private practice, he served a general practice residency at Sepulveda Veteran’s Hospital. Dr. Rogers has invested significant time into ongoing education, seeking to learn emerging dental technologies and techniques in the areas of cosmetic dentistry, implant dentistry, sleep apnea treatment, orthodontics, temporomandibular joint (TMJ) disorders, and safe amalgam replacement. His most recent training in airway management has allowed him to offer a cure for sleep apnea using an intraoral device known as the DNA appliance. He is a member of the International Academy of Oral Medicine and Toxicology, American Academy of Dental Sleep Medicine, American Academy of Craniofacial Pain, and also of Mercury-Free Dentists. He has served as a guest author for TMJ News & Views, and when that publication ceased, began his own quarterly newsletter. You may have seen one of his television interviews on “A New Me” or the local PBS station, or seen his articles and features in Ladies’ Home Journal, Arlington Magazine, and New Beauty
Dr. Rogers is an active participant in the community as a sponsor for Encore Theater, Little League of Alexandria, Abingdon Elementary, and the local Fairlington Farmer’s Market. He and his wife Terri enjoy spending time with their daughter Megan and her husband Corey traveling around the country and the Caribbean.


Germantown Square Shopping Center, Lower Level 12627 Wisteria Drive, Suites C & D
MD

I knew I wanted to be a veterinarian at age five and started working in clinics at 14. I earned my DVM from The Ohio State University in 1977 and spent a decade in clinical practice before discovering holistic medicine. Seeking alternative ways to improve pet health, I became certified in veterinary acupuncture, natural health, and homeopathy, training with Dr. Richard Pitcairn.
In 1993, I sold my practice and moved to Sedona, AZ, embarking on a spiritual journey. I became a Tibetan Buddhist nun from 2002 to 2023, dedicating myself to relieving suffering. I also studied energy healing and volunteered in disaster relief efforts, including Katrina Relief and Tara’s Babies Animal Sanctuary.
Returning to Maryland in 2006, I worked at Veterinary Holistic Care before co-founding Holistic Veterinary Healing in 2013 with Dr. Kitty Raichura. I later pursued a Master’s in Human Acupuncture and practiced on both humans and animals until Dr. Raichura’s passing in 2016. Now, I focus solely on animal patients and am certified in Medical Ozone Therapy and Fear Free Practice. I live in Germantown with my dogs, Bodhi and Jack. In my free time, I enjoy meditation, movies, and watching my dogs play at a friend’s farm.

Growing up with a background in Traditional Chinese Medicine, I discovered my passion for integrative veterinary medicine early on. My father introduced me to Gua Sha and acupressure massage, sparking my fascination with healing modalities. Initially pursuing human medicine, I worked in acupuncture clinics, volunteered at Walter Reed, and conducted research at UMD and FDA.
In 2015, I encountered Traditional Chinese Veterinary Medicine (TCVM) through Dr. Allison Marshall, a veterinarian certified in acupuncture. Inspired, I pursued veterinary medicine, earning a Bachelor’s in Biomedical Engineering at VCU in 2017 and completing my DVM at Virginia-Maryland College of Veterinary Medicine in 2021. I specialize in integrative medicine, blending holistic and conventional approaches to provide optimal care. Certified in veterinary acupuncture (CVA) through Chi University, I also have experience in pathology, surgery, and exotics.
In my free time, I enjoy lion dancing, spending time with family, and exploring new foods.

Rex Hoang, DMD, PC, has been the president of his family-run business, DC Dental Spa, in Washington, DC for over 28 years, and gets great satisfaction from helping his patients achieve beautiful, healthy smiles. Dr. Rex has extensive training and experience in general dentistry, periodontology, endodontology, oral surgery, dental implants, sleep apnea and cosmetic dentistry.
Dr. Rex earned his title of Doctor of Medicine in Dentistry from The University of Pennsylvania School of Dental Medicine in 1990, and to stay up-to-date in the latest dental practices and technologies, Dr. Rex regularly attends continuing education courses. Recently, his continuing education took him to the Dominican Republic, where he provided dental implants to disadvantaged community members. He believes in delivering the very best care for his patients’ needs while being sensitive to their comfort levels and concerns, and a love for dentistry runs in the Hoang family. Of his five children, two have joined him in the field of dentistry. Dr. Rex’s son Dylan is currently pursuing dentistry in school, and Dr. Rex is looking forward to him joining the practice upon graduation.
Outside of dentistry, Dr. Rex has many interests and hobbies, including piano and guitar. He also stays active playing golf, tennis and practicing martial arts.
Hoang
Dr. Hoang, his wife and daughter traveled to Laos and Vietnam. On this trip prepared food and money was donated to those people of need. Dr Hoang’s family personally prepared the food, visited and spoke with the local communities and had a wonderful experience.



LaSondra Gray, CMLSO, CLA, PT-CCMA, MBA is Northern Virginia’s hidden gem and expert in laser technology — from head to toe. She understands and knows the value and benefit that advancements in laser technology have on resolving multiple issues including the elimination of pain. This knowledge has proven invaluable to her as she has traveled the world, training multiple disciplines in the safety and efficacy of laser technology. Her passion began over 20 years ago when she began working with some of the world’s most renowned dermatologists, plastic surgeons and pain management professionals. Her travels throughout the US and internationally allowed her to study under the surgeons and skincare experts from some of the top institutions in the world.
LaSondra has trained and lectured on the safety and efficacy of laser and soft tissue interaction. As a result, LaSondra has received accolades for her efforts in opening and expanding laser centers throughout the world. She has paired her studies along with her own personal philosophy to become renowned for achieving true, positive, visible results — garnering her some of the most elite clientele in the area. She caters to people who seek exceptional results and services that support a natural, healthy look and lifestyle — today and tomorrow.

With Dr. Rahel Yirga joining our team, Reflections Image Center proudly brings together the worlds of aesthetics and wellness. Dr. Yirga, a boardcertified Internal Medicine physician, is passionate about holistic patient care and wellness. Her expertise, combined with LaSondra’s aesthetic artistry, creates a seamless blend of beauty and health, offering clients a comprehensive approach to looking and feeling their best. Together, they are redefining personalized care to help you achieve your ultimate wellness and beauty goals.
We take a holistic approach to delivering outstanding results.. INSIDE and OUT!

Dr. Sheri wants to make sure that the office and her team always deliver the best dental care to their patients as they can. Dr. Sheri Salartash is a whole health focused mouth doctor as she seeks to help patients with not just dentistry, but overall healthy body lifestyles. She focuses on the dental contributions to medical symptoms and natural wellness.
Dr. Sheri has years of experience in Advanced Lightwire Functionals (ALF), Orthodontics, Neuro-Muscular Orthodontics Appliance Therapy, Sleep Apnea treatments, Functional Cosmetics and Aesthetics, for all aged groups. She never stops enhancing her professional skills and thriving to pursue the highest knowledge about dental care for her patients.

Holistic Dental Practice in Northern Virginia Dynamic Dental Wellness (DDW) strongly believes in natural wellness, comprehensive, and contemporary focus in medical approaches. DDW not only provides General Dentistry, Orthodontics, Cosmetic, Biocompatible & Functional Dentistry but also Advanced Laser Dentistry. Several noticeable differences set DDW apart relating to their care about patient’s health. The office is totally mercury free and they strictly follow mercury safe removal certified-procedures. Dr. Sheri and her team utilized the most advanced and greenest technology available for diagnosis and treatments.

Bone Regeneration, strengthening internal oral tissue to reduce snoring, and oral surgeries become much easier.
No Pain / Discomfort
Infection / Needles
Bleeding / Pain
(Compared to Traditional Dental Approaches)




With offices in Charlotte Hall, and La Plata, we are conveniently located to help with all of your chiropractic needs. Since serving the community since 2003, we offer many services such as chiropractic adjustments, physical therapy, exercise therapy, children’s therapy, DOT/CDL Physicals, and more. Winters Chiropractic and Physical Therapy is a full service care office. We focus on our patients comfort while providing the latest techniques to relieve persistent pain.


Degrees, Training, and Certifications: Doctor of Chiropractic, Northwestern College of Chiropractic; Bachelor of Science, North Dakota State University; Certified Medical Examiner, FMCSA (Federal Motor Carrier Safety Administration). Doctor of Chiropractic w/Physical Therapy Privileges, FMCSA DOT/CDL Certified Medical Examiner.
Professional Memberships/Associations: Maryland Chiropractic Association, Maryland Board of Chiropractic & Massage Therapy Examiners.
Techniques: Diversified, Thompson, SOT, Active Release Technique, Passive Release Technique, Trigger Point Therapy
Expertise: Personal/Work/Sports Injuries, DOT/CDL Medical Certifications, Musculoskeletal Disorders, Nutrition.
Personal Interests: Family and Vacationing, Motorcycling (Harley Davidson), Snowmobiling, Target Shooting, Computers
Degrees, Training, and Certifications: Doctor of Chiropractic, Northwestern College of Chiropractic; Bachelor of Science, Human Biology Minnesota State University. AMA Guides to Evaluating Permanent Impairment, Certified Disability Examiner, Manipulation Under Anesthesia Certified.
Professional Memberships/Associations: Maryland Chiropractic Association
Techniques: Diversified, Thompson, SOT, ART/PRT, TPT, MUA
Expertise: Personal, Work and Sports Injuries, Spinal and Extremity Conditions, Musculoskeletal Disorders and Nutrition
Personal Interests: Family, Home, The Great Outdoors, Motorcycles, Snowmobiles

301-805-4664
12200 Annapolis Road Suite #116 Glenn Dale, MD 20769
EnvisionEyeandLaser.com

Board Certified, Ophthalmology by the American Board of Ophthalmology
Degrees, Training and Certificates: UCLA Medical School; Yale University Hospital for Residency; Louisiana State University for Cornea and Refractive Fellowship
Professional Memberships/Associations: American
Academy of Ophthalmology; American Society of Cataract and Refractive Surgery; International Society of Refractive Surgery
Areas of Interest: All laser custom LASIK; Cataract Surgery; Botox; Dermal Fillers; Cornea Comprehensive Ophthalmology
Practice Philosophy: Envision Eye and Laser is committed to delivering superior ophthalmic care with state-of-the-art technology and patient education in a caring, compassionate environment. We cater to a diverse population of adults and work with your primary care physician to improve the quality of your overall health and life. Your best vision is our focus.
Natural Beauty Hair Designers Professional Training Center, Inc.
7801 Old Branch Avenue Suite #403, Clinton, MD 301-266-5817
If you are interested in donating to this non-profit to sponsor a student, please email Rachel at nbhdtraining@gmail.com

Rachel Allen is the President of the nonprofit Natural Beauty Hair Designers Professional Training Center, Inc. and has been the owner of Natural Beauty Hair Salon since 1992, dedicating over three decades to improving lives through education, mentorship, and community support. Under her leadership, the nonprofit organization has become a cornerstone for community outreach and workforce training in Maryland and the Washington Metropolitan Area.
Natural Beauty Hair Designers Professional Training Center provides vital services, including educational programs, workforce development, and mentoring for disadvantaged, foster care, and adoptive youth. Focused on empowering individuals interested in the hair care industry, Rachel’s organization equips participants with the skills and confidence needed to build successful careers.
Rachel is passionate about fostering opportunities for underserved populations and creating pathways to independence and success. Through her unwavering commitment, the Training Center continues to transform lives, enhancing the quality of life for residents in Maryland and beyond. Her dedication has made her a true leader in community development.
Rachel was appointed to the Maryland State Board of Cosmetology in 2017 by Governor Larry Hogan serving a six year term, served as an executive director and board member for National Interstate Council of State Boards of Cosmetology (NIC) in 2020-21, retired Prince George’s County Public School teacher, holds an Advanced Professional Teachers Certification with Maryland State Department of Education (MSDE).
20680 Seneca Meadows Parkway, Suite #218
Germantown, MD

Dr. Mary Alexander, periodontist, obtained a Bachelor of Science degree in Biology from the University of South Carolina and continued her education in dentistry at the University of Maryland School of Dental Surgery where she received her DDS degree. Prior to and during her dental studies, Dr. Alexander received funding and support from the National Institutes of Dental Research for her involvement in the periodontal research. After obtaining her DDS degree Dr. Alexander spent one year at the Veteran’s Administration Hospital, in general practice residency focusing her training in the area of anxiety patient management. She then attended Harvard University and earned her clinical specialty in periodontics and a doctorate in medical science. Her doctoral research was focused in the study of bone function and metabolic disease of the bone.
Dr. Alexander received extensive training in dental implantology, periodontal plastic surgery, bone regenerative procedures and sedation dentistry. All aspects of Dr. Alexander’s training are incorporated in her periodontal practice assuring patient’s thorough and comprehensive periodontal treatment.


Oral and Maxillofacial Surgeon
Diplomate, American Board of Oral & Maxillofacial Surgery
DMD, MDS • OMFS, MD, PA
77 South Washington Street Suite #205, Rockville, MD
301-294-8700
www.OMFSMD.com

Dr. Sreeni came to the United States as an Oral and Maxillofacial Surgeon in the year 1990 and put himself through dental school again at Boston University and Oral and Maxillofacial Surgery residency at University of Medicine and Dentistry of New Jersey.
As an Oral and Maxillofacial Surgeon, Dr. Sreeni manages a wide variety of problems relating to the Mouth, Teeth and Facial Regions. He practices a full scope of Oral and Maxillofacial Surgery with expertise ranging from Corrective Jaw Surgery to Wisdom Teeth Removal. His passion is in implant surgery and he is well known for same day placement of implants following teeth removal be it for single teeth or a complete “makeover” (Smile in a day). He can also diagnose and treat Facial Pain, Facial Injuries and TMJ disorders and perform Bone Grafting and Sinus lift procedures.
Dr. Sreeni completed a residency in Anesthesiology at Mount Sinai Hospital, New York in 1994 and has worked as an Attending providing anesthesia services for children and adults in the ambulatory out-patient center of the hospital.
Dr. Sreeni is an Advanced Cardiac Life Support instructor with the Adventist group. He is also certified in Pediatric advanced life support and is very capable of handling emergencies that could possibly arise in the office. Dr. Sreeni’s staff are trained in assisting with IV Sedation/General Anesthesia within our state of the art office setting. Patients are continuously monitored during and after surgery. The goal of our office is to provide professional service with compassion and an understanding of the patients’ perspective.



10111 Martin Luther King Jr. Highway, Suite #102 Bowie, MD
6196 Oxon Hill Road Suite #240, Oxon Hill, MD

Dr. Trent has a passion for helping people. She has practiced Audiology since 1984, in a number of clinical settings. Her diverse career has included 16 years of teaching and clinical supervision at Howard University, Washington, DC and Temple University, Philadelphia, PA. Dr. Trent has also worked as a clinical audiologist in hospital settings and private ENT practices. Education:
Clinical Doctoral Degree – Audiology-University of Florida, Gainesville, FL
Master of Education – Audiology- Northeastern University, Boston, MA
Bachelor of Science – Communication Sciences and Disorders – Hampton University, Hampton, VA
Dr. Trent holds her Maryland State Licensure in Audiology. She is a Certified Clinical Audiologist (CCC-A) through the American Speech-Language-Hearing Association (ASHA). Presently, she serves on the Board of Directors for ASHA as Vice President for Audiology Practice.

46440 Benedict Drive Suite #201, Sterling, VA

Dr. E. Richard Hughes received his Bachelor of Science in Microbiology from the University of Maryland in College Park, MD. He graduated from Meharry Medical College School of Dentistry in Nashville, TN with a degree as a Doctor of Dental Surgery. His Post Doctorate Certificate in Oral Implantology is from Howard University of Dentistry in Washington, DC.
Dr. Hughes has been in practice for over three decades. During that time, his extensive training and dedication to patient-centered care in Sterling, VA, and the surrounding communities has earned him recognition as a highly esteemed dentist.
Practice Philosophy
Dr. Hughes is committed to respectful, personalized care. Along with his entire staff, he provides treatment in a comfortable, welcoming environment. He is a great listener, and will take the time to get to know you and your needs. Because of his experience and gentle approach, most patients experience minimal discomfort during treatment. However, Dr. Hughes understands that dental anxiety is a very real obstacle for some patients. For this reason, he offers effective oral sedation and nitrous oxide to help patients achieve total comfort during treatment.
Restorative & Implant Dentistry (Dental Implants, Bridges & Crowns, Dentures, Full Mouth Reconstruction), General Dentistry (Preventive Care, Periodontal Care, Sleep Apnea, TMJ, Root Canal Therapy, Invisalign® Clear Aligners, Sedation Dentistry), and Cosmetic Dentistry (Teeth Whitening, Veneers, Smile Makeovers).
Credentials & Memberships
• Diplomate, American Board of Oral Implantology/Implant Dentistry (less than 500 worldwide with this designation)
• Honored Fellow & Fellow of the American Academy of Implant Dentistry
• Fellow of the American Academy of Prosthodontics

By Quansheng Lu, CMD, PhD, LAc Wholelife Chinese Medicine & Acupuncture Center
For thousands of years, Traditional Chinese Medicine (TCM) has been a therapeutic mainstay in China and is

gaining increasing recognition in Europe and the United States. A growing number of individuals are seeking healthcare solutions from Chinese medicine and other Complementary and Alternative Medicine (CAM) practices. According to the National Center for Complementary and Alternative Medicine (NCCAM), approximately 38% of all adults, 44% of those aged 50-59, and 12% of children
Quansheng Lu, CMD, PhD, L.Ac www.wholelifeherb.com • luquansheng@gmail.com 301-340-1066 • fax: 301-340-1090
Guest professor, Henan University of Traditional Chinese Medicine (TCM) Chief TCM Physician, WFCMS; M.S. in TCM, Beijing University of TCM PhD in integrated medicine, China Academy of Chinese Medical Sciences Fellowship, Georgetown University & Children’s National Medical Center 3 patents, 8 books of TCM, 30 papers, 30+ years of experience in TCM
Low back pain • eczema • arthritis • allergies • cough
insomnia
paralysis obesity
nephritis
hepatitis
infertility
416 Hungerford Drive, #300 Rockville, MD 20850
PMS
side effects of cancer treatment
5022 Dorsey Hall Drive, #101 Ellicott City, MD 21042


noble pursuit.

reported using CAM in 2007. Notably, 24-44% of epilepsy patients are already incorporating CAM into their treatment regimens.
The ancient Chinese text, Huang Di Nei Jing, dating back over 2,000 years, mentions epilepsy. Chinese herbal medicine and acupuncture are the primary modalities within TCM. Recent studies suggest promising results for epilepsy treatment using Chinese medicine therapies, including herbal medicines and acupuncture.
Traditional Chinese herbal remedies, deeply rooted in historical practices, have been employed for epilepsy treatment. For instance, Gastrodia’s root, known as tian ma, is a common remedy in China for epilepsy and other ailments. The traditional herbal formulation Bu-yang-huan-wu-tang has shown substantial improvement in refractory epilepsy cases, and open-label studies of
Chinese herbal remedies like Qingyangsen and Zhenxianling indicate potential anticonvulsant effects with fewer side effects than standard antiepileptic drugs. In addition to herbal remedies, acupuncture, another TCM practice, is utilized for epilepsy treatment. Case reports demonstrate the potential efficacy of acupuncture in epilepsy patients, and animal studies suggest it may inhibit epileptic seizures and hippocampal cell death induced by kainic acid.
A Norwegian trial involving 29 patients with intractable epilepsy revealed a reduction in seizure frequency in both acupuncture and sham acupuncture groups, though statistical significance was not achieved. The combination of herbal medicine and acupuncture is often recommended for epilepsy treatment, with a typical duration of 3-6 months depending on the individual’s condition.

By Janet V. Johnson, MD
Care Pediatrics
Natural preferences for the foods we enjoy the most are developed, so the challenge in most families is to make healthy choices appealing. Children should be eating whole foods or minimally processed food. We should consume foods that are as close to their natural form as possible.
Restaurant and takeout meals have more added salt, sugar and unhealthy fat. Strive to cook more meals at home, where the family gathers. Everyone can come together and the time spent can offer an opportunity to catch up on the activities of each family member. Get the children involved in shopping for groceries and
preparing meals. You can teach them about different foods and how to read food labels. In addition, they are more likely to eat what they helped prepare. Be aware of portion sizes, you can obtain this information on MyPlate.gov. Never insist that your child clean their plate, and never use food as a reward or bribe.
Make healthy snacks available. Keep plenty of fruit, vegetables, and healthy beverages (water, milk, and limited amounts of pure fruit juice) on hand so the children can avoid unhealthy snacks like soda, chips, and cookies.
Be a role model for your children. Their impulse to imitate is strong so don’t ask your child to eat vegetables or fruits while you eat cookies, chips or other less healthy foods.
Healthy Eating Tips For Families On The Go School Lunches For Your Kids. Pack lunches with whole grains, fruits, lean, all natural meats and healthy snacks, such as nuts and dried fruits.
Healthy Breakfasts – Quick and Easy. Get rid of the sugar-filled neon-colored “breakfast” cereals.
Please see “Healthy Eating,” page 38

By Karl A. Smith, DDS, MS
Lasers have long been the standard of care in medicine for many surgical and cosmetic procedures. Lasers are used for vision correction, wrinkle and hair removal, vein therapy, and anti-aging treatments.
In the world of dental care, advancements like laser dentistry and laser periodontal therapy are not just technological leaps; they are helping find new ways to improve overall body health and well-being including how mental thoughts affect oral conditions.
For many, a visit to the dentist can evoke feelings of anxiety and discomfort. However, the advent of laser-based treatments has begun to transform these perceptions, offering a gentler, more reassuring experience.
Laser dentistry, with its precision and minimally invasive approach, has become a beacon of comfort for patients. This modern technique, using focused light beams, allows dentists to perform various procedures with minimal impact on surrounding tissues. For patients, this precision translates to less pain and quicker recovery. The emotional relief provided by laser dentistry is profound. Patients who once felt anxious at the mere thought of a dental drill now find solace in the quiet, gentle hum of the laser. The reduced need for anesthesia and the minimal bleeding during procedures further alleviate fears, creating a more relaxed and comfortable dental experience.
Treating gum disease, a common and often distressing condition, has become much less daunting. Patients undergoing laser periodontal therapy report not only
physical ease but also a sense of emotional relief. They feel reassured, knowing that the treatment is thorough yet conservative, targeting only the diseased areas while preserving healthy gum tissue.
This results in the best outcome for the patient because the teeth remain covered with pink, healthy gum tissue instead of being “long and ugly.” Patients can quickly recover with few or no sutures (stitch-
es) and very little discomfort. This is a dramatic improvement over older periodontal treatment techniques where a lot of good gum and bone was removed to “reduce pockets.”
The physical and emotional impact of these advanced treatments extends beyond the dental chair. Patients leave with a sense of empowerment, knowing they have taken a significant step towards bet-

ter oral health without enduring a traumatic experience.
This sense of accomplishment and the relief of having pain-free, efficient treatments can dramatically change one’s outlook on dental care. Laser dentistry and laser periodontal therapy are a gateway to a more positive comfortable dental experience.
Come experience the gentle touch way today!





patients mean
world
(and they love to refer to us as friends and family). My team works together to ensure your visit is enjoyable, and that your treatment is gentle and pain-free. We are deeply committed to help you prevent and treat periodontal (gum) disease, and to enhance your smile to improve your overall health.


Many patients who have been successful in their weight loss journey, once the weight is gone, are disappointed to find that their upper arms do not look the way they expected. Weight loss is a major contributing factor to sagging excess skin on your upper arm. When you gain weight, the skin stretches to accommodate more fat. Unfortunately, skin doesn’t contract as easily as it expands. Loose
skin and remaining pockets of fat on the upper arm are very common after weight loss.
An Arm lift or Upper Arm Liposuction are both surgical procedures that can improve the appearance of your upper arms; however, they have different focuses and approaches.
An arm lift, or brachioplasty, will tighten, lift, and smooth the skin and tis-
sues of your arm for a more sleek and sculpted shape. The focus is on removing the excess sagging skin and attached fat to improve both the upper arm size and contour. An arm lift has a longer incision extending from the underarm to the elbow.
Arm Liposuction is a minimally invasive procedure for removing pockets of fat from the upper arm. It requires few,
smaller incisions and doesn’t tighten the skin.
In many cases, both procedures are performed together for the best results. An arm lift can be helpful for people who have lost a significant amount of weight and whose skin can’t contract over their smaller arms. Arm liposuction effectively removes fat deposits that don’t respond to diet and exercise.












By Lynda Dean-Duru, DDS Ashburn Children’s Dentistry
Proper breathing during sleep is crucial for the overall well-being of children, yet many parents may not be fully aware of potential issues related to Sleep-Related Breathing Disorders (SRBD), which includes pediatric obstructive sleep apnea (OSA).
SRBD refer to disturbances in normal breathing patterns during sleep, ranging from common snoring to more severe pauses in breathing known as apnea events. These interruptions can lead to sleep deprivation and a variety of health complications. In the case of children, untreated SRDB can result in developmental, behavioral, and emotional challenges, potentially leading to conditions like allergies, ADD/ADHD, and depression.
Pediatric OSA, a condition where the airway is partially or completely blocked during sleep, is often caused by enlarged tonsils or adenoids and a lack of tongue space. It differs from adult OSA, as it may manifest alongside behavioral issues and daytime sleepiness in children.
During the first 18 months of a child’s life, crucial growth and developmental milestones occur, many of which are related to facial development. Ensuring proper breathing is essential for a child’s health and development, impacting facial features, jaw development, and overall growth. Mouth breathing can set off a chain reaction of issues, altering the growth of the lower and upper jaws, midface, and nasal bones, ultimately affecting the child’s facial balance.
Children with SRDB may present a range of symptoms, including:
• Difficulty falling or staying asleep
• Sleepwalking, night terrors, and other parasomnias
• Excessive daytime sleepiness
• Mouth breathing, dry lips, bad breath
• Dark circles under the eyes
• Tonsil and adenoid problems
• Snoring
• Teeth grinding
• Bed-wetting
• Inner ear infections
• Limited tongue/lip mobility
• Hyperactivity
• Difficulty concentrating
• Selective eating habits
• Bedwetting
In the case of pediatric OSA, symptoms may involve snoring, breathing pauses, restlessness, and coughing or choking episodes during sleep.
Dentist’s Role
Contrary to conventional belief, pediatric dentists with specialized training are well-equipped to address symptoms related to sleep and air-
way conditions. The airway, mode of breathing, and malocclusion are closely interconnected and should be addressed early and holistically by dentists. Advanced technology, such as cone beam 3D imaging, allows dentists to effectively diagnose airway issues and guide proper growth and development. Early intervention is essential in guiding proper growth and development.
Convenient at-home sleep study tests are now available to diagnose pe-



diatric sleep apnea and breathing issues. These tests provide comprehensive, accurate data for proper diagnoses.
Treatment goals encompass the elimination of detrimental habits, guiding optimal cranial, jaw, and facial development, preventing dental misalignment, and enhancing airway health and oxygen sufficiency. Various therapies, including oral appliances, myofunctional therapy and positive airway pressure therapy, can effectively alleviate symptoms.
Preventative & Comprehensive Dental Care
• Fluoride Treatment
• Sealants
• Pediatric Sedation Dentistry
• Laser Dentistry
X-Rays
• CBCT (Cone Beam Computed Tomography)
• Icon® Cavity Prevention
• Myofunctional Orthodontics
• Infant & Child Frenectomy
• Bebe Munchee® Tool Child Growth & Development
Cosmetic & Restorative Care
• Tooth-Colored Fillings
• Dental Crowns
• Teeth Whitening

• Baby Root Canal (Pulpotomy)
• StemSave™
• Mouthguards
• Tooth Extraction & Space Maintainers
• BabyLase™
• Sleep Apnea & Sleep Airway Treatments
• Lumineers
• Snap-On Smile®
Submitted By Gastro Center of Maryland
While risk factors such as genetics and lifestyle play a big part, cancer can still happen to anyone. Luckily, you can take steps to keep you and your family healthy if you become familiar with the most common risk factors.
That’s why our team of gastroenterology experts at Gastro Center of Maryland is here with a comprehensive list of colon cancer risk factors to help you know where you stand.
Who’s At Risk For Colon Cancer?
The most common risk factor for colon cancer is advanced age. In fact, your likelihood of developing any type of serious illness increases as you get older. Other contributing factors include having:
• Inflammatory bowel disease, such as Crohn’s disease or ulcerative colitis
• A personal or family history of colon cancer
• A genetic predisposition
• A history of polyps
Some lifestyle factors can even make you more likely to develop colon cancer. They include:
• Living a sedentary lifestyle
• Eating a diet low in fruits and vegetables
• Eating a low-fiber, high-fat diet
• Eating processed meats
• Being overweight or obese
• Excessive alcohol and/or tobacco use
If you have these risk factors, it’s important to contact an gastroenterologist expert to determine your next steps.
A gastroenterologists office should be your first call if you determine you’re at risk for colon cancer. They offer a wide range of diagnostic and screening tests to

monitor your colon health and detect the earliest signs of cancerous changes.
In line with the Centers for Disease Control and Prevention guidelines, it is recommended that everyone receives colon cancer screening from age 45-75, but regular screening is even more critical if you have known risk factors.
If your doctor knows you’re at risk for colon cancer, they may recommend you start screening earlier, continue screening past age 75, or have more frequent screens.
Your doctor can also walk you through some ways to mitigate your risk for colon cancer.
Can I Reduce My Risk?
Yes, you can reduce your risk for colon cancer, but there’s no way to guarantee you won’t ever get it. In addition to regular screenings, you should also make lifestyle changes to support your
colon health.
For starters, eat more whole foods, especially those rich in fiber, like vegetables, fruits, and whole grains. Your doctor may also recommend eliminating or reducing your consumption of processed meats, red meat, alcohol, and tobacco.
Regular exercise and maintaining a healthy weight are other ways to support both your colon and overall health.
Research shows a strong link between diet, weight, and exercise and colon cancer risk. Even the slightest changes can have a huge impact, so talk to us about what you can do to make healthy adjustments today.
If you have more questions about your risk for colon cancer, or if you’d like to schedule a screening, don’t wait to call your gastroenterologists office to schedule an appointment.
Discover how the Gastro Center of Maryland can transform your well-being with our state-of-the-art treatments and personalized care.
Innovative Treatments: From advanced diagnostics like Bravo pH Testing and PillCam SB Capsule Endoscopy to breakthrough procedures such as the STRETTA anti-reflux treatment and ORBERA™ gastric balloon, we stay ahead in GI care.
Comprehensive Care: Expertise in managing a full spectrum of GI conditions including Acid Reflux/GERD, Crohn’s Disease, and Liver Disease. Our individualized treatment plans are designed to meet your specific needs.
Experienced Specialists: Our board-certified gastroenterologists are dedicated to providing the highest quality care with years of experience in treating complex gastrointestinal and liver disorders.

Advanced Diagnostics: Bravo pH Testing, PillCam Endoscopy, GI Genius
Specialized Procedures: STRETTA, ORBERA™ Gastric Balloon IBD Infusion Center: Biologic and Injectafer Infusions Integrative Nutrition • Colonoscopy • Colon Cancer Screening
Request an appointment today and experience the difference personalized care can make. Call us at 410-290-6677 or visit www.GastroMaryland.com to schedule online. Don’t wait – Call Today For A Consultation Tomorrow!



Your Health Magazine is here to Help People Find the Healthcare They Need. Information from local doctors and other health professionals lowers the barriers to getting better healthcare and living healthier.
Every month we publish articles and practice information for local providers in the magazine, on our website, Facebook, and Twitter (YourHealthDMV).
Submitted By MedPro - Medical Billing and Practice Solutions
Running a medical practice comes with numerous challenges. Healthcare professionals strive to deliver exceptional patient care while grappling with an ever-growing list of administrative tasks. Providers can spend up to 16 hours a week—or nearly half their working time—on non-clinical duties such as billing, insurance claims, credentialing, and regulatory compliance. This administrative overload not only strains staff but also diverts attention from patient care.
The escalating administrative burden has significant financial implications. Studies reveal that administrative costs account for about 25% of all healthcare spending. Inefficiencies like duplicative services, unnecessary treatments, and extensive paperwork contribute to high operational costs and costly errors. For instance, nearly 70% of denied insurance claims are preventable when billing and coding processes are optimized.
Outsourcing offers a strategic solution to these challenges by shifting non-core functions to specialized third-party providers. This approach allows medical practices to streamline operations, reduce errors, and ultimately improve cash flow. By outsourcing revenue cycle management and payer negotiations, healthcare providers can reclaim valuable time and focus on what truly matters—caring for their patients.
Administrative tasks such as billing, coding, and claim management are prime candidates for outsourcing. Expert providers can handle these
Hcomplex processes more efficiently, ensuring quicker processing times, improved accuracy, and adherence to regulatory requirements. This, in turn, frees up internal teams to concentrate on clinical duties.
Beyond billing, outsourcing can enhance other areas of practice management. For example, patient appointment scheduling handled by dedicated call centers or online systems helps reduce missed appointments and improve patient satisfaction. Similarly, outsourcing human resources functions such as recruiting, payroll, and compliance can relieve practices of significant administrative burdens while attracting top talent.
Provider credentialing and enrollment also benefit from outsourcing. These processes, critical for maintaining compliance and securing timely reimbursements, can be time-consuming and error-prone when managed internally. External partners specializing in credentialing can accelerate these tasks, ensuring that practitioners remain compliant and revenue streams stay uninterrupted.
Real-world examples underscore the benefits of outsourcing. A small practice in Georgia, for instance, saw a 20% reduction in claim denials and a 30% faster payment cycle after outsourcing its billing functions. Such improvements highlight the potential of outsourcing to boost efficiency, enhance patient care, and ultimately support the long-term success of a medical practice.
In today’s competitive healthcare landscape, outsourcing is not just a cost-saving measure—it is a strategic move toward more efficient and patient-focused care.
There are dozens of great-tasting, allnatural, organic cereals. Also, try a breakfast smoothie. MyPlate.gov
Healthy Snacks In the Car. Have non-perishable healthy snacks in your car for when your little one is hungry on the road. Dried fruits, nuts and healthy individually-packaged snacks are a good option.
Freeze Your Meals. If you take the time to make a healthy, homemade meal, they are safe to be placed in a vacuum-sealed container and put in the freezer, they can often keep for several weeks.
Make Time For Sit-Down
From page 32
Meals. Try to have at least three (preferably four) family sit-down meals a week. It helps strengthen the family bond. There is nothing that brings people together like food! It also helps show children the importance of taking time to be with people they love. Fiber. Not an essential nutrient, performs several vital functions: Natural laxative and may lower cholesterol concentration in the blood. A high-fiber intake also supplied greater amounts of vitamins A, B6, B12, C, niacin, thiamin, riboflavin and folate, as well as the minerals magnesium, iron, zinc, calcium and phosphorus.
Submitted By Let’s Smile Dental
Orthodontic treatment has long been associated with the extraction of premolars to address crowding and bite misalignment. While this approach remains a common practice among orthodontists, advancements in technology and treatment planning have made non-extraction orthodontics a viable and often preferable option for many patients.
Non-extraction orthodontics focuses on creating sufficient space for teeth alignment without removing any permanent teeth. This approach aims to preserve the patient’s natural dentition while still achieving optimal functional and aesthetic results. The primary methods used to avoid extractions include expansion of the dental arches, interproximal reduction (IPR), and advancements in aligner technology.
For many patients, non-extraction orthodontic treatment offers several key benefits:
Preservation of Natural Teeth: By avoiding the removal of premolars, patients retain their full complement of teeth, which can lead to better long-term oral health and function.
Improved Facial Aesthetics: Removing teeth can sometimes lead to flattening of the facial profile. Non-extraction treatment helps maintain a more natural and balanced facial appearance.
Less Invasive Approach: Extraction-based orthodontic plans involve the removal of healthy teeth, which can be an uncomfortable and anxiety-inducing process for patients. Non-extraction methods provide an alternative that eliminates this step.
Enhanced Stability: Maintaining all permanent teeth can contribute to greater long-term stability of the bite and overall dental arch.
Preserve tongue space: In some occasions, extraction of premolars results in reduction of space for the tongue which can result in sleep apnea in later years.
Several orthodontic techniques can help create the necessary space for alignment without extractions:
Arch Expansion: Gradually widening the upper and lower den-
tal arches can create space to align crowded teeth.
Interproximal Reduction (IPR): A minimal amount of enamel is removed between teeth to create additional space for alignment without impacting overall dental health.
Molar Distalization: With aligner therapy (Invisalign) and other appliances, we can push the molars back to create space for the front teeth.
Early Intervention: In younger patients, early orthodontic treat -
ment, including palatal expanders and functional appliances, can help guide jaw growth and prevent the need for extractions later.
While non-extraction orthodontic techniques are highly effective, there are cases where extractions remain the best option. Severe crowding, extreme bite discrepancies, and jaw size imbalances may still require the removal of teeth to achieve the most stable and functional outcome. However, in many cases, a careful and strategic approach can help
patients achieve a beautiful, healthy smile without extractions.
Orthodontic treatment should always be tailored to the individual needs of the patient. While many orthodontists opt for extractions to address space concerns, some professionals prioritize non-extraction techniques as a first-line approach. With advancements in treatment planning and modern orthodontic appliances, patients have more choices than ever before in achieving their ideal smile while preserving their natural teeth.


Discover a world of comprehensive dental care at Let’s Smile Dental, your trusted destination for superior oral health in Northern Virginia. With nine conveniently located offices, our skilled team of professionals is dedicated to providing a spectrum of specialized services, all under one roof.
At Let’s Smile Dental, our providers share a common mission: delivering the highest quality care to our valued patients. Through seamless collaboration and a patient-centric approach, our doctors ensure a positive experience and ultimate smile satisfaction. Choose Let’s Smile Dental – where your smile is our priority!
ACUPUNCTURE
Eastern Medical Holistic Healing Center, Angel Wood, 240755-5925. www.acupuncture4wellness.webs.com
ALTERNATIVE HEALTHCARE
Holistic Family Health - Thermal Imaging, Herndon, VA. 703-635-6324 For More information visit www.fhtid.com
BEAUTY/SKIN
A Better You, Dr. ClarkeBennett, 410-672-2742.
BREAST HEALTH
University of Maryland Charles Regional Medical Center. 11340 Pembrooke Square, Suite 202, Waldorf, MD 20603. 240-607-2010. UMCharlesRegional.org
CHINESE MEDICINE & ACUPUNCTURE
Wholelife Chinese Medicine & Acupuncture, 301-526-9898, 416 Hungerford Dr., Rockville www.wholelifeherb.com
DENTISTRY
Karl A Smith, DDS, 2550 N. Van Dorn St., Suite #128, Alexandria, VA. Call 703-894-4867, Visit www.drkarlsmith.com
Richard Hughes, DDS, 703444-1152, 46440 Benedict Dr., Suite #201, Sterling, VA. www. SterlingImplantDentist.com
EYE CARE
Visual Eyes, Alexander Nnabue OD, 301-324- 9500.
HOLISTIC WELLNESS COACH
Nutrition Lifestyle Digestion and More – Lisa@LisaThorne.Me – Text 269861-7565.
HYPNOSIS/YOGA
Toni’s Happy Hour Yoga and Holistic Wellness Center • 6504 Old Branch Avenue, Temple Hills, MD 20748 • 301-449-8664.
MEDICAL SPACE
Charles L. Feitel Company, 301-571-9333, www.medicalanddentalspace.com.
MENTAL HEALTH SERVICES
House Calls, LLC. 301-3466732. callingonbeth@gmail. com. www.CallingOnBeth.net.
NUTRITION
Nutritional Healing Center, Thomas K. Lo, DC, MA, 240-651-1650, 7310 Grove Road, Suite 107, Frederick, MD 21704. doctorlo.com.
Good Health Nutrition Services,LLC – 1300 Mercantile Lane, Suite 129-37, Largo, MD 20774 – 301-341-4680 –www.ghnutritionservices.com – We accept Insurance.
OPHTHALMOLOGY
NewView Laser Eye Center – Jacqueline D. Griffiths, MD – Reston (703) 834-9777 – Visit us at www.NewViewEye.com.
ORAL & FACIAL
SURGERY
Northern Virginia Surgical Arts – 703-998-3971 – 611 South Carlin Springs Road, Suite #308, Arlington, VA 22204 For more info visit us online at www.NOVASurgicalArts.com.
All Smiles Orthodontics – 9010 Lorton Station Blvd., Suite #260, Lorton, VA 22079 – www. AllSmilesBraces.com – For info call us at 703 337-4414.
Jacqueline Brown Bryant DDS, MS, PC, Damon, Clear Braces & Invisalign for Adults And Children. Silver Spring, Maryland 20910 www.smileconstructors. com 301-587-8750 .
Loving Care, Janet Johnson, MD – Hyattsville, MD – 301403-8808.
To Order: Include you NAME, ADDRESS, PHONE, EMAIL AND WHAT HEADING YOU WISH TO BE LISTED UNDER, AND ANY SPECIAL OFFER OR TEXT TO INCLUDE. We will prepare a proof and email to you for approval.
Email your information to: info@yourhealthmagazine.net or Fax to: (301) 805-6808. Call (301) 805-6805 for assistance.
MARYLAND/WASHINGTON, DC OFFICE
4201 Northview Drive, Suite #102, Bowie, MD 20716
phone: (301) 805-6805 • fax: (301) 805-6808 • email: Info@YourHealthMagazine.net VIRGINIA OFFICE phone: (703) 288-3130 • fax: (703) 288-3174 • email: Publish@YourHealthMagazine.net

Active Physical Therapy. Various Locations across Maryland and Washington, DC. Active-physicaltherapy.com.
Arlington Podiatry Center, Edward S. Pozarny, DPM 703-820-1472. 611 S. Carlin Springs Road, Suite #512, Arlington VA.
Largo Foot and Ankle Health Center, Ade Adetunji, DPM, 301-386-5453.
Jamal-Emanuel Graham, a former alumni of both McKinley Tech High and Eastern High Schools in Washington, DC creates new website on 1960s soul music New Jersey legend Linda Jones, “TheLindaJonesStory.com/WashingtonDC”. Her big hit song “Hypnotize” 202-839-0657
Chevy Chase Home Care. Help at a time you need it most. Any Ages. Any situations. Any shifts. MD, DC, VA. www.CHCHhomecare. com 202-374-1240.






SUBSCRIBING IS EASY:
1) Call 301-805-6805 with your name, contact info, and credit card payment for $24, or
2) Simply mail this form along with your check for $24:
Your Health Magazine 4201 Northview Dr. Suite 102 Bowie, MD • 20716




Now you can get the latest issues delivered directly to your home!
• Health articles and advice
• Doctors near YOU!
• Maryland, Washington, DC & Virginia editions
• Only $24 for a year’s subscription (12 issues)!
















Your HEALTH Magazine publishes and distributes health information people need. We produce special sections to focus on particular health topics each month, and profiles of local health professionals. It Makes a Difference! Here’s what you can look forward to:
April BEAUTY, SKIN CARE, & GORGEOUS SMILES – Dermatology, Aesthetics, Body Contouring, Plastic and Cosmetic Surgery, the Latest Lasers, Anti-Aging, Weight Loss, Cosmetic Dentistry, Eye Wear, and more! Will include Profiles and Information from your Local Beauty and Dental Health Professionals.
May VISION and EYE CARE – Professionals to help you and your family with your eye care including New Technology, LASIK, Eye Glasses, Contacts, Other Vision Appliances, Surgery, Children, Adults and Seniors! Will include Profiles from your Local Vision & Eye Care Health Professionals.
June PAIN MANAGEMENT and REHABILITATION – Professionals to help you and your family with chronic pain. Chronic pain is debilitating with significant consequences for the sufferer, their loved ones and their employers. Educating people about pain and where they can get help. Will include Profiles from your Local Pain Management Health Professionals.
July MEET YOUR LOCAL HEALTH PROFESSIONALS – Biographical profiles of a wide variety of local health professionals (Primary Care, Specialists, Integrative, Fitness, and more), highlighting their credentials, expertise, education, practice philosophy, areas of interest, and more!
August WOMEN’S HEALTHCARE and WOMEN IN HEALTHCARE – All the information women need about health, plus profiles to highlight the important women involved in all areas of healthcare – from physicians and nurses to pharmacists and office support staff. Will include Profiles from your Local Women Healthcare Professionals.

If you are a Health Professional interested in including your practice information in the magazine and online, contact us today:

Submitted
by ScholarsHub.net
In the search for natural ways to improve wellness, grounding— also called earthing—has gained attention. The concept is simple: by connecting your body to the Earth’s electrical charge, you may experience certain health benefits. While walking barefoot outdoors is the traditional method, grounding mats and sheets offer a way to bring this practice indoors.
Grounding is based on the idea that direct contact with the Earth can help regulate the body’s electrical balance. In everyday life, we are exposed to various electromagnetic fields (EMFs) from electronic devices, which some believe may disrupt natural body functions. Grounding mats and sheets are designed with conductive materials that connect to the Earth through a grounded outlet or a direct line outside.
Some small studies suggest that grounding may help with:
Sleep quality – Preliminary research indicates that grounding could help regulate the body’s natural sleep-wake cycle.
Recovery and circulation – A few studies have found that grounding may support healthy blood flow, which can aid in post-exercise recovery.
Stress reduction – There is evidence that grounding might influence cortisol levels, potentially helping with stress management.
However, it’s important to note that while these findings are promising, they are not yet widely accepted in mainstream medicine. Larger, well-controlled studies are needed to confirm these effects.
Grounding products are easy
to use and generally considered safe. While there is no guarantee of significant health improvements, many people report feeling more relaxed or experiencing better sleep when using them. If you’re curious, trying a grounding mat may be worthwhile as part of a balanced wellness routine.
While the idea of grounding is intriguing, the scientific evidence remains limited. If you find that grounding mats and sheets make you feel better, they can be a simple addition to your routine. However, they should not be used as a substitute for proven medical treatments.
As research continues, grounding remains an interesting topic in the world of holistic wellness. Whether or not future studies confirm its benefits, staying connected to nature—whether through grounding, fresh air, or time outdoors—can always be a healthy choice.

