























![]()
























Among postmenopausal women, hormone replacement therapy (HRT) use was associated with a 38% reduction in overall colorectal cancer (CRC) risk, according to a study published in Journal of the National Cancer Institute (JNCI) Spectrum (October 2020).
Another study published in BMC Cancer (2020) found that even in patients diagnosed with CRC, the current use of HRT is associated with lower risks of both CRC-specific mortality and overall mortality. This research was a metaanalysis of four randomized control trials and 16 observational studies and included 10,013 colorectal cancer survivors.
Colorectal cancer is the third most common cause of cancer mortality in women. An American adult has about a six percent chance of developing CRC in his/her lifetime. Most CRC is preventable through regular screen -


ing but early detection also helps catch any cancer at more successfully treatable stages. In fact, the five-year survival for stage 1 colon and rectum cancer is 90.1%.
The JNCI study results indicate that both estrogen-only and estrogen plus progestin HRT formulations reduce CRC risk. However, the research noted, “although this study includes populations in many locales, the participants were predominantly white, and therefore, these findings may not be generalizable to other racial and ethnic groups.”
Other studies have determined minor variations in HRT impact on subtypes of colorectal tumors, the underlying mechanisms of how HRT impacts CRC requires further study. It is important to note that only 39.4% of CRC cases are diagnosed at the local stage. About one-third of
Please see “Colon Cancer,” page 66


By Netsere Tesfayohannes, MD, ABA, ABAP Georgetown Pain Managment
In the United States this year, 700,000 people and one out of every four post-menopausal women will suffer from a painful bone injury called a vertebral compression fracture. This common type of bone injury results in the collapse of a vertebra, a type of bone that makes up the spine. Although there is a safe, effective, and minimally invasive therapy available, two-thirds of these fractures fail to be diagnosed. This is unfortunate, as missing this condition can result in under-treated pain, limitations on daily activities, breathing problems, and dependence on dangerous pain medications.
Bone density in both women and men starts to decrease after age forty, but the loss of density greatly accel erates after women enter menopause and can progress to osteoporosis, a disease characterized by very low bone density. Although most compres sion fractures occur in patients with osteoporosis, one-third of vertebral compression fractures occur in patients without osteoporosis.
If a fracture occurs suddenly, patients can experience sudden severe back pain that often wraps around the sides and is felt in the chest. Because of this, it is sometimes confused with diseases of the heart or the lungs. The pain is often worse when standing, sitting-up, or walking around. If very severe, the patient can have trouble breathing.
kyphoplasty that can quickly, safely, and effectively treat a patient’s pain without the long-term use of opioids and other pain medications.
If an acute compression fracture is present on an MRI, a patient should be referred to a pain management physician or another physician who performs kyphoplasty. This procedure can often be performed in a doctor’s office, preventing the need for an overnight stay in a hospital. On the day of the procedure, the patient is given a medicine to relax and then is asked to lie on their belly. An x-ray machine
is then used to locate the fractured bone and a narrow tube is placed into it through a very small opening in the skin. A small balloon is inflated within the bone to create a small space and the fracture is then filled with bone cement. The entire procedure can take as little as 45 minutes. Many patients feel immediate pain relief and are able to return to their daily lives the day after the procedure. However, some patients may take a week or longer to feel better.
Kyphoplasty most successfully reduces a patient’s pain within two



Patients who have symptoms of a fracture should see their doctor for evaluation. After an examination that suggests a vertebral compression fracture, they will often be sent for an MRI. This imaging shows the level of the fracture and also reveals whether it is old or new. Some doctors treat compression fractures with pain medicine, physical therapy, and bracing. However, many cases continue to cause severe pain and long-lasting health effects unless treated more definitively. Unfortunately, many patients and physicians are not aware that there is a minimally invasive procedure called

weeks following a fracture. Unfortunately, if the window of opportunity is passed, the pain can become more challenging to treat and further complications can occur.
If you think you or someone you care about is experiencing symptoms of a vertebral compression fracture, be reassured that there are safe, effective, and minimally invasive therapies available. Schedule an initial pain evaluation at Georgetown Pain Management to determine if you’re eligible for kyphoplasty or other pain therapies. Most insurances are accepted and new patient evaluations are currently being scheduled. As awareness of this condition increases and more patients are offered kyphoplasty as a minimally-invasive therapy, it is hopeful that fewer patients will have to live with the severe pain that results from vertebral compression fractures and can return to their full lives more quickly and comfortably than before.
The articles below are provided by local health professionals for the benefit of the public. Please contact them for advice and services.
4 | Colon Cancer Risk Reduced 38% In Women Using HRT | Submitted by New Day Vitality Hormone Center 5 | Kyphoplasty: Treatment For Spinal Compression Fractures | By Netsere Tesfayohannes, MD, ABA, ABAP
9 | Detecting and Preventing Urologic Cancers: What You Need to Know | By Kari Bailey, MD 11 | A Gentle Touch: The Comfort and Health Of Dental Lasers | By Karl A. Smith, DDS, MS
| Your One-Stop Solution For a Healthy Smile | Submitted By Total Dental Care 13 | The Holistic Approach To Tongue Ties and Airway Health | By Gena Schultheis, DDS 14 | The Connection Between Sleep Apnea and TMJ Disorder | By Jeffrey L. Brown, DDS 16 | All-On-Four Dental Implants | Submitted By Sivakumar Sreenivasan, DMD, MDS
17 | The Ingrown Nail | By Howard Horowitz, DPM
17 | How Outsourcing Key Services Can Transform Your Medical Practice | Submitted By MedPro
18 | Snow Shoveling Safety | By Alicia Kovach, DC
21 | Should You Be Worried About a Hernia? | By Etwar McBean, MD, FACS
22 | Aging and Your Dental Health | By Judy Yu, DMD, MBA
22 | What Is Integrative Medicine? | By Alan Weiss, MD
25 | Hyperbaric Oxygen Therapy: A Natural Approach To Healing | By Elambert Richardson
27 | Exploring the Benefits Of TeethXpress Implants For Dental Health | By Larry Bryant, DDS
28 | Who’s At Risk For Colon Cancer? | Submitted By Gastro Center of Maryland
31 | Mindfulness and Movement | By Dr. Tiffany Daniel
31 | Maryland’s Cannabis Landscape | By Sharron Sample, CEO
32 | How to Pursue Low- or No-Cost CDA Certification | Submitted by ScholarsHub.net
33-43 | Featured Complementary & Integrative Healthcare + Colon Cancer Awareness
44 | Aging In Place: A Guide To Future Planning | Submitted By Right At Home
46 | Happy Lymphedema Awareness Day! | By Kaitlin Barry MS, OTR/L, CLT
46 | Holistic Healing: Restoring Balance To Body, Mind & Spirit | By Sabrina Milanovich
48 | Poor Circulation In Feet: Part One | By Ademuyiwa Adetunji, DPM
48 | Epidural Steroid Injections For Low Back Pain and Sciatica | By Dr. Anver Khan
50 | How Hospice Social Workers Make Everyday Moments That Matter | By Chris Gooding, LCSW-C
54 | What Is Tooth Whitening? | Submitted by E. Taylor Meiser, DDS
54 | How To Master Meditation With Acupuncture | By Brittney de Vicq, MAc, LAc
56 | Mental Illness: What To Do? | By Joyce Abramson, RNMS
56 | Understanding Menopause: A Key Phase In Women’s Health | By Ashley Pimperl, MSN, CRNP
57 | Traditional Chinese Medicine For Epilepsy | By Quansheng Lu, CMD, PhD, LAc
57 | Coping With Nasal Allergies | Submitted By Kensington Pharmacy
58 | Have You Lost a Loved One? | By James A. Cleaver, Esq.
58 | Shirin-yoku Forest Bathing and Fertility | By Yemi Adesanya-Famuyiwa, MD
59 | Healthy Eating For the Family | By Janet V. Johnson, MD

Your Health Magazine is on a mission. There are far too many people, insured or not, who do not go to the doctor when they should, and in millions of cases, don’t know who they should go to, or why.
People are encouraged to buy a new house, car, cell phone or big screen TV, and those companies make themselves very visible and their products easily attainable.
Information about, and from, local healthcare providers is not easy to find, and many times those services are difficult to access.
Information and encouragement always lowers fear and trepidation about anything, and this is especially true in healthcare. While general information is available on web-sites, specific information from local providers is almost impossible for people to find. This is one of the key reasons chronic and episodic conditions are not cared for. It is our mission to:
Make A Difference By Empowering and Encouraging People To Live Healthier By Going To the Doctor When They Should.
There is a lot of evidence that the health professionals who participate in Your Health Magazine have helped many people over the years. We at Your Health Magazine salute you!
G. Scott Hunter, Editor-in-Chief
If you would like to find out how you can participate in one of our upcoming editions, please contact the office nearest you.
MARYLAND & WASHINGTON, DC OFFICE One Town Center 4201 Northview Drive, Suite 102 Bowie, MD 20716 Office (301) 805-6805 • Fax (301) 805-6808 info@yourhealthmagazine.net
VIRGINIA OFFICE Office (301) 805-6805 info@yourhealthmagazine.net
© Your Health Magazine, 2025. The magazine and all of its contents are protected by copyright. For permission to reproduce any materials in this magazine, contact publish@yourhealthmagazine.net
EDITOR-IN-CHIEF
Gregory
Scott Hunter


Trust Visual Eyes for the Best Eyecare in the DC Metro Area!
Visual Eyes is committed to provinding Families with the BEST Eyecare in the Washington, DC Metro Area. YES,
Services We Offer:
• State-of-the-art comprehensive eyecare
• Eye disease treatment and management
• Designer eyewear and sunglasses
• Colored and bifocal contact lenses
• Pediatric eyecare
• Laser vision consultants



At the Minimally Invasive Vascular Center (also known as MIVC) we have long been committed to addressing the vascular devastation that is rampant in our community. Each year cardiovascular disease is the world’s largest killer; killing more Americans than cancer. If you have painful legs, wounds that won’t heal, varicose veins, leg swelling, history of smoking, or have a family history of vascular problems and/ or are over the age of 50, you may suffer from poor circulation. Poor circulation may be responsible for causing erectile dysfunction in as much as 50 to 70 percent of men who develop the condition. Now we are happy to add expanded services! Our goal is to extend the healthy lifespan of our patients by using a comprehensive, integrative approach to achieve the most effective results. We believe that Beauty Is a Reflection of Health and Wellness. We want you to be as beautiful on the outside as you are healthy on the inside.
• Primary Care
• Wound Care
• Comprehensive Weight-Loss (including injectables)
• Aesthetics
• Age Spots
• Cellulite
• BOTOX® Cosmetic
• Fillers
• Microneedling w/PRP and Exosomes
• PRP Hair Restoration
• Spider Veins
• Body Contouring
• CoolSculpting
• Laser
• CoolTouch Laser
• Laser Hair Removal
• Laser Pigment Removal
• Laser Skin Resurfacing
• Laser Skin Tightening
• Skin Treatments
• Acne Scars
• PRP Injections
• Chemical Peels
• HydraFacial
• Microdermabrasion
• Sun Damage
• Vascular Procedures
• Arteriograms
• Atherectomy
• Balloon Angioplasty
• Radiofrequency Ablation – Veins
• Venogram
• Uterine Fibroid Embolization
• Coil Embolization
• Sexual Enhancement
• Hormone Therapy
• Gainswave
• P-shot/O-shot



By Kari Bailey, MD Anne Arundel Urology
Urologic malignancies encompass a range of cancers that affect the urinary system, including the kidneys, bladder, ureters, prostate, and testicles. These cancers present unique challenges in diagnosis, treatment, and management, making awareness and education essential for both patients and healthcare providers.
Types Of Urologic Malignancies
Kidney Cancer: Renal cell carcinoma (RCC) is the most common type of kidney cancer. Risk factors include smoking, obesity, and hypertension. Symptoms may include blood in urine, persistent back pain, and unexplained weight loss. Early detection is crucial, often achieved through imaging studies such as ultrasound or CT scans.
Bladder Cancer: This is characterized by malignant growths in the bladder lining. The most common symptom is hematuria (blood in urine). Risk factors include smoking, exposure to certain chemicals, and chronic bladder infections. Diagnosis often involves cystoscopy and biopsy, while treatment may include surgery, chemotherapy, or immunotherapy.
Prostate Cancer : One of the most prevalent cancers among men, prostate cancer typically grows slowly and may not present symptoms in early stages. Risk factors include age, family history, and race. Screening methods like PSA (prostate-specific antigen) tests are vital for early detection. Treatments vary from active surveillance to surgery and radiation therapy.
Testicular Cancer : Although rare, testicular cancer is the most common cancer in young men aged 15 to 35. Symptoms might include a lump in the testicle, swelling, or discomfort. Self-examinations are encouraged for early detection as early stage cancers have cure rates above 90%. Treatment usually involves surgery, and may involve
chemotherapy and radiation.
Ureteral Cancer : This malignancy affects the ureters, the tubes connecting kidneys to the bladder. Symptoms can be similar to those of kidney or bladder cancer. Diagnosis often requires imaging and biopsy. Treatment options depend on the stage and location of the cancer.
Risk Factors and Prevention
Understanding risk factors is crucial for prevention and early detection. Modifiable factors include lifestyle choices such as smoking cessation,
maintaining a healthy weight, and regular exercise. Additionally, awareness of family history can guide individuals in discussing screening options with their healthcare providers.
Diagnosis and Treatment
Diagnosis of urologic malignancies typically involves a combination of physical exams, imaging tests, and laboratory tests. Biopsies are often necessary to confirm the presence of cancer. Once diagnosed, treatment plans are tailored to the individual’s needs and may involve surgery, radiation therapy,
chemotherapy, or targeted therapies.
The Importance Of Early Detection
Early detection significantly improves the prognosis for patients with all types of cancer, including urologic malignancies. Regular check-ups and discussions about risk factors and symptoms with healthcare professionals based on your individual lifestyle and habits. For instance, men over 50 or those with a family history of prostate cancer should consider regular screenings with PSA and/or DRE.



• Our Professional Massage Training Program is one of the most comprehensive and respected training programs in the US
• Lowest Cost of Tuition Massage School in Maryland
• PMTI graduates have a 93% average pass rate on the National Massage & Bodywork Licensing Exam (MBLEx) (vs. US avg 72%, MD avg 64% – source: FSMTB 2022)
• We offer Continuing Education and Community Workshops to fulfill licensing requirements and help your practice grow!
• Easy Metro access in Silver Spring, Maryland





By Karl A. Smith, DDS, MS
Lasers have long been the standard of care in medicine for many surgical and cosmetic procedures. Lasers are used for vision correction, wrinkle and hair removal, vein therapy, and anti-aging treatments.
In the world of dental care, advancements like laser dentistry and laser periodontal therapy are not just technological leaps; they are helping find new ways to improve overall body health and well-being including how mental thoughts affect oral conditions.
For many, a visit to the dentist can evoke feelings of anxiety and discomfort. However, the advent of laser-based treatments has begun to transform these perceptions, offering a gentler, more reassuring experience.
Laser dentistry, with its precision and minimally invasive approach, has become a beacon of comfort for patients. This modern technique, using focused light beams, allows dentists to perform various procedures with minimal impact on surrounding tissues.
For patients, this precision translates to less pain and quicker recovery. The emotional relief provided by laser dentistry is profound. Patients who once felt anxious at the mere thought of a dental drill now find solace in the quiet, gentle hum of the laser. The reduced need for anesthesia and the minimal bleeding during procedures further alleviate fears, creating a more relaxed and comfortable dental experience.
Treating gum disease, a common and often distressing condition, has become much less daunting. Patients undergoing laser periodontal therapy report not only
physical ease but also a sense of emotional relief. They feel reassured, knowing that the treatment is thorough yet conservative, targeting only the diseased areas while preserving healthy gum tissue.
This results in the best outcome for the patient because the teeth remain covered with pink, healthy gum tissue instead of being “long and ugly.” Patients can quickly recover with few or no
sutures (stitches) and very little discomfort. This is a dramatic improvement over older periodontal treatment techniques where a lot of good gum and bone was removed to “reduce pockets.”
The physical and emotional impact of these advanced treatments extends beyond the dental chair. Patients leave with a sense of empowerment, knowing they have taken a significant step towards

better oral health without enduring a traumatic experience.
This sense of accomplishment and the relief of having pain-free, efficient treatments can dramatically change one’s outlook on dental care. Laser dentistry and laser periodontal therapy are a gateway to a more positive comfortable dental experience. Come experience the gentle touch way today!

–
Periodontic Therapy –
Gum Treatment – Insurance Accepted & Filed – Ultra-Sterile Environment – No Referral Needed – Comfortable Sedation Dentistry




patients mean the world to us (and they love to refer to us as friends and family). My team works together to ensure your visit is enjoyable, and that your treatment is gentle and pain-free. We are deeply committed to help you prevent and treat periodontal (gum) disease, and to enhance your smile to improve your overall health.



Maintaining optimal dental health is crucial for overall well-being, and finding a dental office that offers comprehensive care under one roof is a game-changer. Total Dental Care is a well-established dental practice that takes pride in providing detailed and comprehensive services in various specialties, ensuring patients receive topnotch care for their unique dental needs.
General Dental Services: Total Dental Care excels in offering a wide array of general dental services, including routine check-ups, cleanings, and preventive care. Our experienced team focuses on early detection and intervention to prevent dental issues from escalating.










Specialized Services: Whether you require orthodontic adjustments, periodontal treatments, Invisalign, dental implants, prosthodontics, oral
surgery, extractions, root canals and endodontic treatments, or restorative and cosmetic dentistry, Total Dental Care has you covered. Our specialists are experts in their respective fields, ensuring you receive tailored treatments for your specific dental concerns.
Cutting-Edge Technology: Total Dental Care stays at the forefront of dental technology, offering services such as digital intra-oral cameras, cone-beam CT scanners, and teethin-a-day. Our commitment to utilizing advanced techniques ensures effective and efficient treatments while minimizing complications.
Sedation Options: Understanding the anxiety some patients may feel, Total Dental Care offers laughing gas, oral sedation and IV general anesthesia options. Our goal is to create a comfortable and stress-free environment, catering to the individual
Please see “Healthy Smile,” page 62

By Gena Schultheis, DDS
Annapolis Green Dental
• TMJ and Jaw Pain Therapy –Addressing jaw joint dysfunction related to tongue posture and oral muscle tension.
A tongue tie, or ankyloglossia, occurs when the thin tissue under the tongue (lingual frenulum) is too short or tight, restricting movement. While often associated with breastfeeding difficulties in infants—such as poor latch and nipple pain—it can also impact speech, dental development, and airway function throughout life. A holistic approach to tongue ties considers not just the mouth but the entire body, including airway health, posture, and overall wellness.
Tongue ties can contribute to a wide range of symptoms beyond feeding difficulties. In infants, they may cause reflux, excessive gas, prolonged feeding times, and poor weight gain. As children grow, unresolved tongue ties can lead to speech delays, difficulty pronouncing certain sounds, and even picky eating due to sensitivity to food textures.
In adulthood, tongue ties can contribute to jaw tension, TMJ disorders, poor sleep quality, snoring, mouth breathing, and even chronic headaches or neck pain. Since the tongue plays a crucial role in airway function, restricted movement can impact breathing patterns, leading to long-term health concerns.
A Holistic Perspective On Oral and Airway Health
At our office, we take a wholebody approach to oral health by evaluating how tongue ties affect airway development, posture, and overall function. Some of the holistic services we offer include:
• Tongue Tie Evaluations and CO2 Laser Treatment – Using advanced laser technology, we perform tongue tie releases with minimal discomfort and faster healing times.
• Myofunctional Therapy – Exercises designed to strengthen the tongue and facial muscles to improve breathing, chewing, and speaking.
• Sleep and Airway Assessments
– Identifying issues like mouth breathing, snoring, and restless sleep that may be connected to oral structure and tongue positioning.
• Pediatric Feeding and Speech Support – Helping babies and children with feeding difficulties and speech development issues related to tongue ties.
• Comprehensive Dental Care with

a Functional Focus – Looking beyond cavities and gum health to consider how the mouth impacts wholebody wellness.
We have the ability to use CO2 lasers at our office in Crownsville, allowing us to release tongue ties in infants and babies without the need for anesthesia. This advanced laser technology reduces scar tissue formation and, when combined with our guided stretching and exercises, significantly lowers the risk of reattachment.













By Jeffrey L. Brown, DDS Sleep & TMJ Therapy
Obstructive Sleep Apnea (OSA), and Temporomandibular Disorder (TMD) are conditions that can severely disrupt daily life. OSA occurs when the airway is blocked during sleep, leading to pauses in breathing. This not only disrupts sleep but also poses significant health risks, such as cardiovascular issues, diabetes, and even cancer.
Temporomandibular Disorder –TMD – affects the jaw joint and the muscles controlling jaw movement. Symptoms often include jaw pain, difficulty chewing, and a clicking or locking of the jaw. These symptoms can vary in intensity and may sometimes lead to chronic discomfort.
Both Sleep Apnea and TMD are often overlooked or misdiagnosed, making awareness crucial for effective management. People experiencing symptoms of either condition should



seek medical evaluation to prevent long-term complications. Understanding the underlying mechanisms of these conditions can help in recognizing the need for timely and appropriate treatment.

Effective diagnosis usually involves a combination of medical history, physical examination, and advanced diagnostic tools. In the case of Sleep Apnea, sleep studies are commonly used to measure breathing patterns, while TMD diagnosis may involve imaging techniques like X-rays or MRIs to examine the jaw joint and surrounding tissues. Recognizing the signs and seeking professional help are key steps in managing these disorders. If you look for studies, there are clear links between OSA and TMD.
Both Sleep Apnea and TMD share several risk factors that can exacerbate symptoms. If the discs in the jaw joints are displaced, this will greatly contribute to TMD as well as OSA. Oftentimes, genetics are involved – a family history of OSA and/or TMD is common.
Another important factor is age; the likelihood of developing Sleep Apnea and TMD increases as one gets older. Being overweight is another significant risk factor for Sleep Apnea, as excess fat can obstruct the airway. This excess weight can also put additional stress on the jaw muscles, contributing to TMD symptoms.
Dr. Jeffrey Brown has limited his practice to focus only on TMJ Disorders, Craniofacial Pain Management and Sleep Apnea. By fixing slipped discs in the jaw joints, Dr. Brown can significantly reduce the pain patients experience in the head/neck region and other symptoms associated with jaw joint problems. Sleep & TMJ Therapy may be able to improve the quality of life for you or a loved one – we encourage you to contact us with any questions or concerns.
“Dr. Brown and his staff are absolutely wonderful. I was diagnosed with Dystonia. I could not turn my head and had a ton of pain. My doctors offered no help and no advice besides Meds and Botox. Since having the appliance I have NO pain and I can turn my head. I would highly recommend them to anyone. I feel Dr. Brown and his staff really care about their patients and helping them to get better. They do not just numb the symptoms but fix the problem. Thank you from the bottom of my heart. I feel like the old me again!”
- D. Thomas
“My daughter has been treated by Dr. Stack and Dr. Brown for the last 2 1/2 years, and we are very fortunate to have found them. Prior to that she was being treated by a neurologist at a Children’s hospital. She was on medications for tics and associated muscle pain, OCD/repetitive thoughts, sleeplessness and more (all possibly associated with Tourettes). Drs. Stack and Brown installed spacers to alleviate pressure on nerve bundles in the jaw, and subsequently braces to complete the process. Her symptoms have diminished significantly. She is off medication, her tics have all but disappeared, she can concentrate better in school, and she is once again cheerful and relaxed.” - Susan
Technological advancements are making significant strides in the diagnosis and treatment of both OSA and TMD. For Obstructive Sleep Apnea, the use of devices like Continuous Positive Airway Pressure (CPAP) machines has been revolutionary. These machines ensure that airways remain open during sleep by providing a constant flow of air through a mask. A custom fitted dental appliance is made for those who cannot tolerate CPAP.
On the TMD front, laser therapy is being increasingly utilized to treat jaw pain and inflammation. Laser treatments can reduce pain and promote healing by stimulating blood flow and tissue repair. Additionally, advancements in imaging techniques, such as digital X-rays and MRIs, provide detailed views of the jaw joint and surrounding structures. This allows healthcare providers to make more accurate diagnoses and tailor treatments to individual needs. Appliance therapy like the Gelb orthotic and the amazing ALF have come to the forefront in TMD treatment, and coincidentally helps with OSA.
Be sure to talk to a well educated healthcare professional who understands your needs and can analyze the situation correctly.



• Natural, safe, laser light energy is pulsed and absorbed by the subcutaneous tissue.
• Supercharges the body’s metabolism through ATP synthesis to burn fat as energy.
• Waste products are expelled from the body via sweat, urine and respiratory exhaustion.
• The body continues to burn fat for up to 4 hours after treatment.
• Collagen and elastin production is increased within the skin layers to rejuvenate and repair skin cells addressing cellulite, skin laxity and stretch-marks.



Ms. Haugaard (she, hers) has worked with the mental health community of the greater Washington area as a professional art therapist since 1990. She is a registered art therapist with the American Art Therapy Association, and is board-certified with the Art Therapy Credentials Board.
In Maryland she holds two licenses: Clinical Professional Counselor, and Clinical Professional Art Therapist. She holds supervisory status with both. She has been licensed as a Professional Counselor in the District of Columbia since 1996.
Ms. Haugaard received her Master’s degree from The George Washington University’s Art Therapy program. She holds two post-Masters certificates from Johns Hopkins University: Clinical Community Counseling, and Spiritual & Existential Therapy.
A trauma-informed therapist, Ms. Haugaard uses an existential approach to address psychodynamic issues.
Ms. Haugaard is a member of the American Art Therapy Association (AATA), the Maryland Art Therapy Association (MATA), the American Counseling Association (ACA), and the Southern Maryland Psychological Association (SMPA).
Ms. Haugaard is bi-cultural, and bi-lingual (Hispanic Caribbean).
Where You Can Find Me Making A Difference: The Art Therapy Studio
P: 301-863-2888

46922 S. Shangri-La Drive, 2nd Floor, Lexington Park, MD www.ArttherapyStudio.net

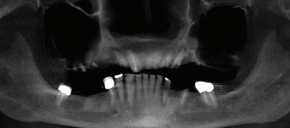
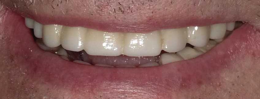
Submitted By Sivakumar Sreenivasan, DMD, MDS Dental Implant Center of Rockville
Can just four implants replace all of the teeth on the top or the bottom of your mouth? Thanks to advances in dental implant technology, that answer is a resounding yes.
Tooth loss is extremely common among adults, especially as we age. Rather than living with the discomfort and hassles of dentures, many people are opting for what is called “all-onfour” dental implant restoration.
An implant is a small titanium





screw that fits inside your jawbone and replaces the root-part of a missing tooth. Minor surgery is required to insert the implants. Once the implant is in place, a crown is attached to give you a highly realistic-looking and functional prosthetic tooth.
You do not need a dental implant for each and every one of your missing teeth. All you need is four precisely placed implants on the top of your mouth, and four on the bottom, to restore your full smile. That’s the beauty of the all-on-four. And because the implant is made of titanium, it has the unique ability to fuse to living bone and function as part of it. So eventually, the dental implant becomes part of the jawbone and serves as a strong, long-lasting foundation for your new teeth.
Besides ensuring that your implants are permanently fixed in place, this bone fusion has another important benefit: it prevents future bone loss in the jaw. This helps to maintain a more
Please see “All-On-Four,” page 62


By Howard Horowitz, DPM Bowie Foot & Ankle
The ingrown nail involves the production of an abnormal corner nailplate. This growth presses upon the soft tissues and causes pain, inflammation and finally infection.
The first toe is the one most commonly affected, though the smaller toes may also be involved. Congenital factors such as an unusually wide nailplate or excessive curvature of the nail often play a role in the development of such problems. Other predisposing factors include tight, poorly-fitting
shoes or trauma to the nailplate, often from sports involving a lot of stopping and starting. Poking at the nails or using improper cutting procedures are habits that also pose risks.
If you look at one of your nailplates; you can see that the nail comes out of a fold of skin (cuticle) and that it actually has a deep root from which it grows (the matrix). Specialized cells at the base of the matrix produce the hard protein substance of the nail. This is very similar to hair in its composition. If injured or irritated these cells produce a deformed nailplate. This can eventually result in a recurring ingrown nail.
Usually, when an ingrown nail is diagnosed, the offending portion of the nailplate (generally one of the corners) is removed. The nail will regrow in one of two ways after a period of 3-4 months. Normal growth will, of course, require no further treatment. If it becomes ingrown again, permanent correction is in order.
This procedure, done comfort-
Please see “Ingrown Nail,” page 62
Submitted By MedPro - Medical
Billing and Practice Solutions
Running a medical practice comes with numerous challenges. Healthcare professionals strive to deliver exceptional patient care while grappling with an ever-growing list of administrative tasks. Providers can spend up to 16 hours a week—or nearly half their working time—on non-clinical duties such as billing, insurance claims, credentialing, and regulatory compliance. This administrative overload not only strains staff but also diverts attention from patient care.
The escalating administrative burden has significant financial implications. Studies reveal that administrative costs account for about 25% of all healthcare spending. Inefficiencies like duplicative services, unnecessary treatments, and extensive paperwork contribute to high operational costs and costly errors. For instance, nearly 70% of denied insurance claims are preventable when billing and coding processes are optimized.
Outsourcing offers a strategic solution to these challenges by shift-

ing non-core functions to specialized third-party providers. This approach allows medical practices to streamline operations, reduce errors, and ultimately improve cash flow. By outsourcing revenue cycle management and payer negotiations, healthcare providers can reclaim valuable time and focus on what truly matters—caring for their patients.
Administrative tasks such as billing, coding, and claim management are prime candidates for outsourcing. Expert providers can handle these complex processes more efficiently, ensuring quicker processing times, improved accuracy, and adherence to regulatory requirements. This, in turn, frees up internal teams to concentrate on clinical duties.
Beyond billing, outsourcing can enhance other areas of practice management. For example, patient appointment scheduling handled by dedicated call centers or online systems helps reduce missed appointments and improve patient satisfaction. Similarly, outsourcing human
Please see “Efficiency,” page 66
Charles L. Feitel Company
Email: cfeitel@medicalanddentalspace.com

“The Medical Expert In The Washington Metropolitan Area Commercial Real Estate Market”
Let Charles Feitel help you with your next space requirement. His professionalism and medical expertise are unsurpassed. Call now!!

info@medpromedicalbilling.com Serving Virginia, Maryland, Georgia and Illinois

MedPro stands at the forefront of medical billing and credentialing services, offering comprehensive solutions designed to optimize your revenue cycle. Our expert team ensures accuracy, efficiency, and compliance, allowing healthcare providers to focus on patient care while we handle the complexities of billing and credentialing. Partner with MedPro to streamline your operations and maximize your financial outcomes.



By Alicia Kovach, DC Kovach Chiropractic
With the onset of winter and the arrival of the first snowfall, it becomes crucial to address the importance of shoveling safely. Adhering to a few straightforward tips significantly reduces the risk of injuries stemming from the strain placed on the spine.
To safeguard your back, employ a technique that involves tightening your abdominal muscles while lifting the shovel and avoiding breath-holding. Bend at the knees, not the back,
and wear shoes or boots with slip-resistant soles to prevent slips and falls. Safety Guidelines For Shoveling:
• Shovel only freshly fallen snow, as wet and compacted snow can be excessively heavy. Lift small amounts at a time and opt for pushing rather than lifting whenever possible.
• Select a shovel suitable for your needs, ensuring it is chest-high with a rocker bottom. Use a smaller shovel to avoid lifting too much snow at once.
• When gripping the shovel, keep your hands at least shoulder-width apart, and maintain a shoulderwidth stance with your feet.
• Refrain from shoveling right after eating or while smoking.
• If you have a history of heart issues, obtain your doctor’s approval before engaging in shoveling activities.
• Prior to shoveling, warm up your body, and stretch once you are done.
Please see “Shoveling,” page 62








Choose Adventist Medical Group Primary Care in Fort Washington, Maryland, to provide a full range of primary care services for adults.
Learn to better manage your health and prevent illnesses with personalized care from our experienced, primary care providers. Our specialists in family medicine and internal medicine work as a team to deliver expert care when you need:
• Same-day Sick Visits
• Women’s and Men’s Health and Wellness Exams
• Health Physicals, Health Maintenance and Preventive Care
• Geriatric (Senior) Wellness Exams
• Vaccinations and Immunizations, including Flu Shots
• Health Management for:
• Asthma and Allergies
• High Blood Pressure
• High Cholesterol
• Diabetes
• Heart Disease
You also benefit from coordinated care that helps you effectively handle all aspects of your health—from preventive medicine and preoperative appointments to management of chronic health conditions.
To schedule an appointment, please call 240-724-6018
10709 Indian Head Highway, Suite D1 Fort Washington, Maryland 20744 AdventistMedicalGroup.org









bilical hernia (“belly button” hernia) that results from fatty tissue pushing through the navel to create a bulge.
YourHEALTH Magazine Design Shop, Heather L. Mahoney
By Etwar McBean, MD, FACS The Bariatric & Hernia Institute, PC
Hernias may occur in many locations including the navel, the groin, the front of the abdomen, the side of the abdomen and even in the back. The hernia results from a weakness in the abdominal wall that is either a natural weak spot or a weakness created by a tissue injury as typically occurs from previous abdominal surgeries. The hernia is often made obvious by activities that generate a lot of pressure in the abdomen such as coughing, straining, lifting heavy loads or working out in the gym.

advertisement must be noted and faxed to YourHEALTH at (301) 805-6808 on or before the due otherwise the ad will be printed as shown below.
REQUIRED. Please check the appropriate box, sign and fax back to YourHEALTH.
Hernias are a common cause for concern among patients. A hernia develops due to a weakness in the abdominal wall that allows a bulge to form under the skin at the area of weakness. The bulge often represents fatty tissue or intestines pushing through that weakness. For example, a common hernia is an um-
Hernias can often be pushed back into the natural position in which case they are said to be reducible. If the hernia cannot be pushed back into its natural position then it may be trapped and is considered in-
____ Ad okay with changes indicated ____ Please call to discuss ad design Signature (REQUIRED)_______________________________________________Date_______________ proof your ad. Check for correct addresses, phone #’s and spelling of all names.
Please see “Hernia,” page 62



•
•
•

Fillings


adverse reactions.
The process of delivering home oral healthcare and patient education/ communication can become intricate due to physical, sensory, and cognitive impairments often associated with aging. Dental issues that commonly affect seniors include dry mouth (known as xerostomia), root and coronal caries, and periodontitis.


The older adult demographic is on the rise, presenting unique challenges in healthcare. Managing the health of aging patients can be intricate due to concurrent medical conditions such as high blood pressure and diabetes. Moreover, the frequent use of prescription medications by older adults heightens their susceptibility to medication errors, drug interactions, and
Notably, a staggering 19% of seniors no longer have any natural teeth, and a Massachusetts survey has unveiled that 34% of seniors experience dental discomfort. Alarmingly, more than half (53%) of seniors grapple with moderate to severe periodontal disease.
Tooth Loss
Seniors who have lost most or all of their teeth often struggle to maintain a balanced diet, as they may avoid fresh fruits and vegetables. Reliance on soft foods can lead to nutritional deficien-
“Dental



For some, alternative or holistic medicine may seem to be in opposition or intellectually inferior to “traditional or western” medicine. One way to think of these approaches that may be more helpful is as integrative and functional medicine.
Integrative (functional) medicine providers do their best to find ways to help people deal with their health issues as effectively as possible in a way that works for the patient. This especially applies when the issues are longstanding, intertwined, and have not responded to previous efforts by the medical field.
The NIH and other institutions
are beginning to apply the standards of science to alternative and complementary therapies, though it is often not simple to do so. However, taking an approach to medicine that attempts to deal with root causes and the interrelationship between symptoms rather than trying to find a diagnostic box to fit the patient inside of can often provide an avenue for effective treatment.
If you pay attention to the science news you will see that accepted medical practices, as basic as treating ear infections and breast cancer surgery, are constantly being questioned and revised as new studies come to light. And one must also take into consideration the fact that good studies are tremendously expensive to conduct, and often will only get done when pharmaceutical companies see a profit to be made. The incentive to do good studies on subjects and treatments where there is not a profit to be made is often not very compelling to those with the resources to do these studies. One example is the long held belief that treating diverticulosis requires a diet without seeds or nuts has been debunked.
Please see “Integrative,”











By Elambert Richardson Elon Roshell Day Spa & Health
Hyperbaric Oxygen Therapy (HBOT) is gaining recognition in the world of integrative health as a powerful tool for enhancing the body’s natural healing process. By delivering oxygen at higher-than-normal atmospheric pressure, HBOT increases the amount of oxygen dissolved in the blood, reaching tissues that may be deprived due to injury, illness, or inflammation. This non-invasive treatment has been used for decades in hospitals for wound
care, but it is now being widely adopted in wellness clinics and holistic health practices for its broad range of benefits.
How HBOT Works
During an HBOT session, individuals enter a sealed chamber where pure oxygen is delivered under increased atmospheric pressure. This process allows oxygen to penetrate deeper into body tissues, promoting cell regeneration, reducing inflammation, and stimulating the immune system. Unlike breathing oxygen at normal pressure levels, HBOT ensures that oxygen is carried efficiently even to areas with limited circulation, supporting recovery from various conditions.
Key Benefits Of HBOT Therapy
HBOT is well-known for its ability to accelerate recovery from injuries, support neurological function, and enhance overall well-being. Some of its most significant benefits include: Improved Circulation and Heal-
Please see “Hyperbaric,” page 66














Dr. Larry Bryant
TeethXpress implants have revolutionized dental care by offering a comprehensive solution for individuals struggling with missing or failing teeth. Let’s delve into the educational aspects of TeethXpress implants, focusing on their benefits and what to expect from this innovative procedure.
Understanding TeethXpress Implants
TeethXpress implants are a modern dental solution designed to replace missing or damaged teeth with a permanent set of prosthetic teeth. Unlike traditional dentures, TeethXpress implants are securely anchored to the jawbone, providing stability and functionality comparable to natural teeth.
One of the primary advantages of TeethXpress implants is the immediate results they offer. Unlike traditional dental implant procedures that may require multiple visits over an extended period, TeethXpress can often provide a complete set of new teeth in just a few hours. This quick turnaround time allows patients to swiftly regain their ability to eat, speak, and smile confidently.
Improved Dietary Habits and Quality of Life
TeethXpress implants can significantly improve dietary habits and overall quality of life for individuals struggling with compromised dental health. By providing a stable and functional bite, these implants enable patients to enjoy a wide variety of foods without restrictions. Moreover, the aesthetic enhancement provided by TeethXpress implants can boost self-confidence and contribute to a more positive self-image.
Beyond immediate benefits, TeethXpress implants contribute to longterm oral health by replacing missing teeth and stimulating the jawbone. This helps prevent bone loss and preserves facial structure, reducing the risk of future dental complications. By maintaining optimal oral health, individuals can enjoy improved overall well-being and longevity.
Concerns about the cost of dental implants should not deter individuals from considering TeethXpress. While dental insurance may provide partial coverage, alternative payment options such as healthcare installment plans or financing options can make the procedure financially accessible for many individuals. By exploring these options, patients can pursue dental implants without compromising their financial stability.





TeethXpress implants offer more than just a cosmetic enhancement; they provide a comprehensive solution for individuals seeking to restore their dental health and quality of life. By understanding the educational aspects of TeethXpress implants, individuals can make informed decisions about their dental care and take proactive steps towards a healthier, more confident future.
For those considering TeethXpress implants, consulting with a certified provider is essential. To learn more or schedule a consultation, individuals can contact a TeethXpress provider in their area.
Investing in dental health is investing in overall well-being. With TeethXpress implants, individuals can reclaim their smiles and enjoy the benefits of optimal oral health for years to come.
Submitted
By
Gastro Center of Maryland
While risk factors such as genetics and lifestyle play a big part, cancer can still happen to anyone. Luckily, you can take steps to keep you and your family healthy if you become familiar with the most common risk factors.
That’s why our team of gastroenterology experts at Gastro Center of Maryland is here with a comprehensive list of colon cancer risk factors to help you know where you stand.
Who’s At Risk For Colon Cancer?
The most common risk factor for colon cancer is advanced age. In fact, your likelihood of developing any type of serious illness increases as you get older. Other contributing factors include having:
• Inflammatory bowel disease, such as Crohn’s disease or ulcerative colitis
• A personal or family history of colon cancer
• A genetic predisposition
• A history of polyps
Some lifestyle factors can even make you more likely to develop colon cancer. They include:
• Living a sedentary lifestyle
• Eating a diet low in fruits and vegetables
• Eating a low-fiber, high-fat diet
• Eating processed meats
• Being overweight or obese
• Excessive alcohol and/or tobacco use
If you have these risk factors, it’s important to contact an gastroenterologist expert to determine your next steps.
What Should I Do If I’m At Risk?
A gastroenterologists office should be your first call if you determine you’re at risk for colon cancer. They offer a wide range of diagnostic and screening tests to

monitor your colon health and detect the earliest signs of cancerous changes.
In line with the Centers for Disease Control and Prevention guidelines, it is recommended that everyone receives colon cancer screening from age 45-75, but regular screening is even more critical if you have known risk factors.
If your doctor knows you’re at risk for colon cancer, they may recommend you start screening earlier, continue screening past age 75, or have more frequent screens.
Your doctor can also walk you through some ways to mitigate your risk for colon cancer.
Can I Reduce My Risk?
Yes, you can reduce your risk for colon cancer, but there’s no way to guarantee you won’t ever get it. In addition to regular screenings, you should also make lifestyle changes to support your
colon health.
For starters, eat more whole foods, especially those rich in fiber, like vegetables, fruits, and whole grains. Your doctor may also recommend eliminating or reducing your consumption of processed meats, red meat, alcohol, and tobacco.
Regular exercise and maintaining a healthy weight are other ways to support both your colon and overall health.
Research shows a strong link between diet, weight, and exercise and colon cancer risk. Even the slightest changes can have a huge impact, so talk to us about what you can do to make healthy adjustments today.
If you have more questions about your risk for colon cancer, or if you’d like to schedule a screening, don’t wait to call your gastroenterologists office to schedule an appointment.
Discover how the Gastro Center of Maryland can transform your well-being with our state-of-the-art treatments and personalized care.
Innovative Treatments: From advanced diagnostics like Bravo pH Testing and PillCam SB Capsule Endoscopy to breakthrough procedures such as the STRETTA anti-reflux treatment and ORBERA™ gastric balloon, we stay ahead in GI care.
Comprehensive Care: Expertise in managing a full spectrum of GI conditions including Acid Reflux/GERD, Crohn’s Disease, and Liver Disease. Our individualized treatment plans are designed to meet your specific needs.
Experienced Specialists: Our board-certified gastroenterologists are dedicated to providing the highest quality care with years of experience in treating complex gastrointestinal and liver disorders.

Advanced Diagnostics: Bravo pH Testing, PillCam Endoscopy, GI Genius
Specialized Procedures: STRETTA, ORBERA™ Gastric Balloon IBD Infusion Center: Biologic and Injectafer Infusions Integrative Nutrition • Colonoscopy • Colon Cancer Screening
Request an appointment today and experience the difference personalized care can make. Call us at 410-290-6677 or visit www.GastroMaryland.com to schedule online. Don’t wait – Call Today For A Consultation Tomorrow!












By Dr. Tiffany Daniel Live To Day Wellness
The majority of our clients suffer from chronic pain or trauma which inhibits them from conducting their daily living activities or reaching their goals of being pain and stress free.
Mindfulness and movement can be combined together to complement the primary care provider’s prescribed treatment. So many clients are living with chronic pain, trauma, and disease that it has become a common household topic.
Today some of the most popular practices for well-being are through
equine training, therapeutic horticulture, meditation and yoga. All the above can provide forms of mindful movement.
Mindfulness is a mental state achieved by focusing one’s awareness on the present moment, while calmly acknowledging and accepting one’s feelings, thoughts, and bodily sensations, used as a therapeutic technique.
Mindful movement can be described as any movement activity that is practiced mindfully, by giving attention, presence, and intention to whatever the form of movement may be. It can be accomplished through activities such as equine therapy, gardening, walking, yoga, etc,. to name a few.
We implement programs geared toward individual needs to glean from the incentives gathered from the practice of mindfulness.
Mindful Resilience (MR), or therapeutic yoga is a program that was developed by Dr. Dan Libby of the Veteran Yoga Project (VYP) which includes practices that have
Please see “Mindfulness,” page 65

By Sharron Sample, CEO Dispensary Works
Since 2014, Maryland has offered patients a holistic approach through cannabis as an alternative or complimentary medicine. This article explains some of the nuances in cannabis products and their particular benefits.
Medical Cannabis In Maryland
Maryland’s Medical Cannabis Program aims to provide patients with

Degrees: BS in Psychology, MDiv; Doctorate in Christian Education, EdD
Certificates: Behavioral Health and Nutrition, Personal & Small Group Fitness Instructor, Certified Health & Wellness Coach, IIN Alumni, MRT & SEL(F) Instructor,
Yoga 200Level and Zumba Instructor
Training: Mindful Movement and Breathwork
Areas of Interest: Healthy Eating and Regular Exercise
Specialties: Nutrition, Meal Planning, Weight Loss, Rehabilitation and Maintenance, and Standards for Excellence Licensed Consultant
Practice Philosophy: Your Health is Your Wealth
Hosts a monthly women veterans peer support group with Peer Outreach Solutions, Inc., (Posi) for Sista’s of the Posi.
Give An Hour, Ambassador supporting veterans and their families.
Veteran Yoga Project, State Director for Yoga - MRT
Breathe for Change, Yoga Instructor Yoga - SEL(F)
Mental Health First Aid Certified
Hobbies: Reading, Researching Preventive Measures for Autoimmune Diseases and other Health Conditions plus Advocate for Veterans and Mental Health Awarenes
137 National Plaza Suite #300, Oxon Hill, MD www.ctldomGroup.com

a natural and effective alternative for managing symptoms associated with chronic illnesses. Qualified patients can access a variety of cannabis products, each with distinct properties and potential therapeutic benefits. Patients report using cannabis to ease severe and chronic pain, muscle spasms, severe nausea and vomiting, epilepsy and seizures, alzheimers disease, crohn’s disease, migraine headaches, anorexia, PTSD, and other conditions.
The two primary strains of cannabis, Sativa and Indica, offer divergent effects. Sativa strains are often associated with increased energy, focus, and creativity, making them suitable for daytime use. Indica strains, on the other hand, are renowned for their relaxing and sedative properties, making them ideal for nighttime use or
Please see “Cannabis,” page 44

cannabis. We have selected the highest quality product, tested and certified, for it’s safety and effectiveness. Each of our Dispensary agents are highly trained in the science of this product and are here to help you select the best solution for your needs.
Submitted by ScholarsHub.net
The Child Development Associate (CDA) Credential is a nationally recognized certification in early childhood education. Residents of Maryland, Washington, DC, and Virginia can often access subsidized or fully covered training and assessment, provided they meet specific requirements.
Why Earn a CDA?
• Career Growth: Increase pay and leadership opportunities in child care centers
• Professional Recognition: Demonstrate expertise in child development
• Enhanced Skills: Improve classroom management and teaching strategies
Washington, DC
Southeast Children’s Fund (SCF) offers a 120-hour CDA training program with portfolio support for DC residents and those employed in DClicensed childcare facilities, subject to eligibility criteria and funding availability. CentroNía Institute also provides CDA coursework in multiple

languages, along with portfolio assistance for individuals who qualify.
The Maryland State Department of Education (MSDE) reimburses application fees, renewal fees, and CDA Competency Standards books for registered family child care providers and licensed child care center employees. ChildCareEd offers self-paced training, often eligible for MSDE reimbursement, allowing participants to keep out-of-pocket costs low.
Care Courses is recognized by the Council for Professional Recognition as meeting formal CDA education requirements and offers online training for Virginia childcare professionals. According to cumulative data from the Council, thousands of CDA Credentials have been awarded in Virginia over the years. SafeGard Classes Online and Virginia Wesleyan University also offer CDA preparation programs suited to Virginia’s licensing and reim-
bursement pathways.
Key Considerations
Free or subsidized programs typically require specific eligibility criteria, such as residency and employment in a licensed facility. The Council for Professional Recognition charges an assessment fee of around $425, which may be reimbursed by certain state programs.
• Verify eligibility for state-specific grants or reimbursements.
• Gather required documentation for funding applications.
• Choose a training format (online or in-person).
• Complete the mandatory 120 hours of training.
• Develop a professional portfolio.
• Schedule and complete the final assessment.
By leveraging the resources offered in DC, Maryland, and Virginia, early childhood educators can significantly reduce the cost of earning their CDA Credential while enhancing their professional skills.


After completing his fellowship in Colon and Rectal Surgery at Robert Wood Johnson University Hospital-Rutgers University, Rami Makhoul, MD, joined Holy Cross Health Hospital in 2014 to serve patients of the DMV area.
Upon graduating from medical school, Dr. Makhoul first completed his internship in General Surgery at the University of Massachusetts Medical School. He, then, completed his residency training in General Surgery at the George Washington University Hospital in Washington, DC.
During his residency training at GW, he spent a year in clinical research where he published some of his work on colon and rectal cancer, and the use of Robotic Surgery in various abdominal procedures performed in the Colon and Rectal Surgery field. He continued with his passion for research and published peer-reviewed articles during his fellowship training. Several of his work, was presented at national conferences including the American Society of Colon and Rectal Surgery, and the Society of American and Gastrointestinal and Endoscopic Surgeons annual conferences.
Dr. Makhoul diagnoses and treats various diseases of the colon, rectum, anus, and other parts of the GI tract using national standards and guidelines. He has a special interest in treating colon and rectal cancer using advanced surgical minimally invasive techniques including robotic, laparoscopic, and transanal minimally invasive surgery. Dr. Makhoul is Board Certified in both General Surgery and Colon and Rectal Surgery and is an active member of the American Society of Colon and Rectal Surgeons education committee.
As part of his commitment to surgical training and education, Dr. Makhoul serves as a Clinical Instructor of Surgery at the George Washington University. Dr. Makhoul is currently the chairman of the Department of Surgery at Holy Cross Hospital in Silver Spring. He also holds the position of Cancer Liaison Physician for Holy Cross Health, where he manages and overlooks clinically related cancer activities in collaboration with the Commission on Cancer and American Cancer Society. When he is away from the office, Dr. Makhoul may be found spending time with his family. Dr. Makhoul enjoys skiing, cycling, scuba diving, tennis, and traveling.


Dr. Matthew Skancke is a colon and rectal surgeon serving Maryland, Virginia and Washington, DC. Dr. Skancke grew up in Great Falls, VA earning his undergraduate degree in electrical and biomedical engineering at the University of Virginia’s engineering school. After engineering school he spent three years working for a Swiss based GPS company U-blox America while going to night school to finish his premedical degree. He then attended medical school at the University of North Carolina at Chapel Hill where he did basic science research of mesenchymal stem cells to progress the field of regenerative medicine. Dr. Skancke continued his General Surgery training at the George Washington University Hospital and subsequently did his Colon and Rectal Surgery Fellowship at the Cleveland Clinic.
During his training, Dr. Skancke has published over 24 peer reviewed publications, authored three book chapters, and presented over 45 times at national conferences in medicine and surgery. He has participated in clinical trials of bench top and mechanical sciences and is a member of the American College of Surgeons and the American Society of Colon and Rectal Surgeons. Dr. Skancke is Coard Certified in General Surgery and Colon and Rectal Surgery and is an active member of the American Society of Colon and Rectal Surgeons Quality and Safety National committee.
Outside of work, Dr. Skancke has found a new love for French cooking and North Carolina barbeque. To offset these vices, Dr. Skancke also enjoys running and powerlifting in his free time.


Fellowship Trained, Board Certified GASTROENTEROLOGIST
Training, Degrees:
• UCLA (University of California – Los Angeles)
– Internal Medicine Residency
• Georgetown University – Gastroenterology Fellowship
Dr. Ebrahimi specializes in the diagnosis and treatment of the digestive tract:
• SCREENING COLONOSCOPY
• Esophagus
• Small Intestine
• Stomach
• Colon/Rectum
• Liver • Pancreas
• Nutrition
• Obesity
• Weight Loss
• Hemorrhoids
• Gallbladder and Biliary Tree
• Gastrointestinal Malignancy
7247 Hanover Parkway, Greenbelt, MD 20770
Phone: 301-345-5877
Fax: 301-345-5608 Fax: 301-238-7964
aaybar@kidsgastro.com

Every patient and their parents are given the time they need during a consultation at Annapolis Pediatric Gastroenterology and Nutrition to fully understand what’s happening and ask any questions they may have. If your child needs to undergo any procedures, Dr. Aybar performs them at the Anne Arundel Medical Center in Annapolis, MD.
A board-certified pediatrician who specializes in pediatric gastroenterology after finishing his fellowship at University of Maryland. Dr. Aybar was born in Turkiye, and received his medical degree from the University of Istanbul. He completed an internship in pediatrics and adolescent medicine at the Cleveland Clinic Foundation Children’s Hospital and a Residency in pediatrics at Sinai Hospital in Baltimore, MD, where he served as chief resident. Dr. Aybar gained valuable experience working in several Baltimore Metropolitan Area hospitals as a pediatrician in the emergency department and as a pediatric hospitalist.

With offices in Charlotte Hall, and La Plata, we are conveniently located to help with all of your chiropractic needs. Since serving the community since 2003, we offer many services such as chiropractic adjustments, physical therapy, exercise therapy, children’s therapy, DOT/CDL Physicals, and more. Winters Chiropractic and Physical Therapy is a full service care office. We focus on our patients comfort while providing the latest techniques to relieve persistent pain.


Degrees, Training, and Certifications: Doctor of Chiropractic, Northwestern College of Chiropractic; Bachelor of Science, North Dakota State University; Certified Medical Examiner, FMCSA (Federal Motor Carrier Safety Administration). Doctor of Chiropractic w/Physical Therapy Privileges, FMCSA DOT/CDL Certified Medical Examiner.
Professional Memberships/Associations: Maryland Chiropractic Association, Maryland Board of Chiropractic & Massage Therapy Examiners.
Techniques: Diversified, Thompson, SOT, Active Release Technique, Passive Release Technique, Trigger Point Therapy
Expertise: Personal/Work/Sports Injuries, DOT/CDL Medical Certifications, Musculoskeletal Disorders, Nutrition.
Personal Interests: Family and Vacationing, Motorcycling (Harley Davidson), Snowmobiling, Target Shooting, Computers
Degrees, Training, and Certifications: Doctor of Chiropractic, Northwestern College of Chiropractic; Bachelor of Science, Human Biology Minnesota State University. AMA Guides to Evaluating Permanent Impairment, Certified Disability Examiner, Manipulation Under Anesthesia Certified.
Professional Memberships/Associations: Maryland Chiropractic Association
Techniques: Diversified, Thompson, SOT, ART/PRT, TPT, MUA
Expertise: Personal, Work and Sports Injuries, Spinal and Extremity Conditions, Musculoskeletal Disorders and Nutrition
Personal Interests: Family, Home, The Great Outdoors, Motorcycles, Snowmobiles

Germantown Square Shopping Center, Lower Level 12627 Wisteria Drive, Suites C & D

I knew I wanted to be a veterinarian at age five and started working in clinics at 14. I earned my DVM from The Ohio State University in 1977 and spent a decade in clinical practice before discovering holistic medicine. Seeking alternative ways to improve pet health, I became certified in veterinary acupuncture, natural health, and homeopathy, training with Dr. Richard Pitcairn.
In 1993, I sold my practice and moved to Sedona, AZ, embarking on a spiritual journey. I became a Tibetan Buddhist nun from 2002 to 2023, dedicating myself to relieving suffering. I also studied energy healing and volunteered in disaster relief efforts, including Katrina Relief and Tara’s Babies Animal Sanctuary.
Returning to Maryland in 2006, I worked at Veterinary Holistic Care before co-founding Holistic Veterinary Healing in 2013 with Dr. Kitty Raichura. I later pursued a Master’s in Human Acupuncture and practiced on both humans and animals until Dr. Raichura’s passing in 2016. Now, I focus solely on animal patients and am certified in Medical Ozone Therapy and Fear Free Practice.
I live in Germantown with my dogs, Bodhi and Jack. In my free time, I enjoy meditation, movies, and watching my dogs play at a friend’s farm.

Growing up with a background in Traditional Chinese Medicine, I discovered my passion for integrative veterinary medicine early on. My father introduced me to Gua Sha and acupressure massage, sparking my fascination with healing modalities. Initially pursuing human medicine, I worked in acupuncture clinics, volunteered at Walter Reed, and conducted research at UMD and FDA.
In 2015, I encountered Traditional Chinese Veterinary Medicine (TCVM) through Dr. Allison Marshall, a veterinarian certified in acupuncture. Inspired, I pursued veterinary medicine, earning a Bachelor’s in Biomedical Engineering at VCU in 2017 and completing my DVM at Virginia-Maryland College of Veterinary Medicine in 2021.
I specialize in integrative medicine, blending holistic and conventional approaches to provide optimal care. Certified in veterinary acupuncture (CVA) through Chi University, I also have experience in pathology, surgery, and exotics.
In my free time, I enjoy lion dancing, spending time with family, and exploring new foods.

Interventions and Therapies

Dr. Anver Khan was born and raised in Maryland. He attended the University of Maryland followed by the Edward Via College of Osteopathic medicine. He trained in Anesthesiology with further fellowship specialization in interventional pain management at the prestigious Johns Hopkins School of Medicine.
Board Certifications:
• American Board of Anesthesiology | Pain Medicine
• American Board of Anesthesiology | Anesthesiology
Education & Credentials:
• Residency Program: Johns Hopkins School of Medicine
| Anesthesiology
• Fellowship Program: Johns Hopkins School of Medicine
| Pain Management
Treatments Dr. Khan and His Team Provide
• Spinal Cord Stimulation (SCS)
• Epidural Steroid Injections
• Facet Joint Injections
• Radiofrequency Ablation
• Medial Branch Blocks
• Sacroiliac Joint Injections
• Kyphoplasty
• Selective Nerve Root Blocks
• Sympathetic Blocks
• Celiac Plexus Blocks
• Joint Injections
• Peripheral Nerve Stimulation
• Minimally Invasive Lumbar Decompression (MILD)


Alicia Kovach, DC
Degrees/Training: Graduate of Palmer College of Chiropractic, DRX Training, Activator, Myofascial Release, Board Certified Physi cal Therapy and Webster Certification. Trained in the Thompson Technique, as well as in the latest evidence based Chiropractic treatments for Pediatric and Pregnancy Care Associations: Maryland Chiropractic Association, International Chiropractic Pediatric Association Areas of Interest: Maternity Care, Pediatric Care, Worker’s Com pensation, Personal Injury, Spinal Decompression for Herniated Discs
Hobbies: Sports Fan, Swimming, Running and spending time with her family Inspiration: Helping people restore their health naturally on a daily basis.
Most Memorable Moment: Through the use of the chiropractic care and other wellness modalities, she has seen patients go from extreme back and/or neck pain to little or no pain and the ability to return to a productive life. Patients injured through automo bile accidents or work related accidents that could hardly func tion daily in their jobs have been able to return to work and daily activities pain free.
Best Health Advice: Pay attention to your body and don’t ignore the subtle signals. Those subtle signals can lead to a quicker recovery.
Cancer Patients:
Chiropractic treatment can relieve pain and stiffness in your joints and muscles caused or intensified by surgery, chemotherapy or radiation therapy. Call our office today to find out if Chiropractic care may be right for you.

Dr. Aric Adlam was born and raised in the suburbs of Detroit Michigan where he started receiving chiropractic care at the age of 2 years old. After a traumatic football injury threatened his future athletic career at the age of 16, Dr. Adlam turned down a risky spinal surgery for an all chiropractic approach. After missing only a half of a football season instead of the predicted 2 years; Dr. Adlam was back on the field. More importantly, Dr. Adlam had decided during that time that he had found his calling in life and decided to pursue a career as a Chiropractor.
Dr. Adlam received an undergraduate Bachelor of Science degree with an emphasis in Biological Sciences before entering chiro practic school. He then continued his education at Life University College of Chiropractic in Marietta, GA where he received his Doc torate of Chiropractic degree, fulfilling his dream of becoming a Chiropractor.
Dr. Adlam is highly trained in the diagnosis and treatment of soft tissue injuries often encountered in the spine, extremities and the rest of the body. He has extensive experience with the current state of the art spine rehabilitation technology and diagnostic equipment used in the treatment of spine related injuries. He has had success in treating many patients who have dealt with chron ic neck and low back pain for years as well as headaches sufferers that found no relief in the traditional medical model. He has ex tensive expertise in the treatment of whiplash injuries that often result from automobile accidents. Dr. Adlam is also well trained in the diagnosis and treatment of bulging discs in the low back and neck utilizing the latest treatment methods available.
Dr. Adlam comes from a history of highly competitive sports and takes pride in getting the high performance athlete to the weekend warrior back in the game safely and effectively. He looks forward to bringing the patients of Kovach Chiropractic and Well ness Center the best chiropractic care possible.



Dr. Kristina Anderson was born and raised in northern New Jersey. She completed her undergraduate studies at the University of Maryland, College Park where she received her Bachelor’s degree in Kinesiology. She then went on to receive her Doctor of Chiropractic degree and Masters in Applied Clinical Nutrition at New York Chiropractic College.
Since graduating, Dr. Anderson has received certifications including Rocktape, Dry Needling, Active Release Technique, FAKTR (Functional and Kinetic Treatment with Rehab), and the Webster Technique. After having to take time off from Track and Field in high school due to quadriceps tendinitis, she understands the importance of quality rehabilitation and care and continues to educate herself to better assist her patients.
Throughout her career as a chiropractor, Dr. Anderson has worked with a variety of patients including athletes, perinatal, postnatal, personal injury, adolescents, and geriatric. Dr. Anderson works tediously to ensure that maximum therapeutic benefit is achieved. Outside of work Dr. Anderson enjoys reading, watching stand-up comedy, musicals, and traveling with her husband.

• Spinal Decompression • Aqua Massage
• Cold Laser Therapy • Custom Orthotics
• Massage Therapy • Ultrasound
• Infrared Light Pad
• Physical Therapy Modalities





Dr. Brown’s practice focuses on TMJ, sleep apnea and orthodontics. This allows Dr. Brown and his team to provide individualized, focused care for patients dealing with these specific issues. Every day, his practice helps patients of all ages with facial development, sleep issues, chronic headaches, migraines, neck pain, movement disorders, and much more. His training also includes multiple disciplines involving the cranial bones in the skull, and the discs in the jaw joints. Through treatment, Dr. Brown is able to reduce these symptoms, align cranial bones, avoid extractions, and greatly reduce the need for traditional braces. His expertise allows him to identify issues early on which promotes proper facial development using dental appliances. If there is an internal imbalance, whether an adult or child, the body does not develop or function properly. When the cranial bones are lined up correctly, patients are able to function, sleep and generally live better.
With that in mind, the team at Sleep & TMJ Therapy takes a whole-body approach when treatment planning. They work hand in hand with physical therapists and osteopathic doctors for a better success rate. Dr. Brown is devoted to helping patients of all ages live a symptom free life.
Degrees & Certifications
Dr. Brown earned his degree from Georgetown Dental School and completed residencies with Emory University Hospital for Dental Sleep Medicine and the ALF Appliance Therapy Institute.
Outside the Office
When not seeing patients, Dr. Brown is a sought-after speaker. He has lectured all over the world, including D.C., Dubai, Seoul, London, Norway and Toronto. He has also been featured on Channel 9’s Good Morning Washington, several podcasts, and numerous magazines and journals.
Professional Affiliations
Dr. Brown is a diplomate of the American Academy of Craniofacial Pain, a member of the American Academy of Dental Sleep Medicine, American Academy of Gnathological Orthopedic, Academy of Integrative Pain Management American Dental Association, a Fellow of the American Academy of Craniofacial Pain, and Legacy Provider for the ALF Interface Academy.
Do you have TMD or Sleep Apnea?
TMD Symptoms: Noise in the jaw joints when opening and closing your mouth, difficulty chewing, limited opening, tender facial muscles, ear ringing, uncomfortable bite, jaw locking, headaches, migraines, dizziness, vision issues as well as pain in the jaw area which can radiate to the ears, head, neck, shoulders, and back.
Sleep Apnea Symptoms: Snoring, waking up gasping for air, feeling tired and irritable in the morning, difficulty controlling weight, concentration problems, morning headaches, episodes of not breathing, waking with a sore throat, forgetfulness and mood changes. If you believe you may be suffering from TMD or Sleep Apnea, don't wait... Call today to schedule a consultation with Dr. Brown: 703-821-1103.


Dr. Weiss received his Bachelor of Arts from University of Virginia, and his Doctor of Medicine from McGill University. His Post-Graduate Training Includes: University of Hawaii Internship in Medicine, St. Elizabeth’s Hospital (Boston) Residency in Internal Medicine, Board Certified Internal Medicine, Fellow American Academy of Anti-Aging Medicine. Practice Philosophy: Combining the best of conventional treatments, natural approaches and alternative strategies.
Areas of Interest:
• Expert treatment of chronic fatigue syndrome and fibromyalgia
• Nutritional strategies and weight loss, including HCG protocol
• Bio-Te Hormone Replacement
• Addressing thyroid problems and adrenal fatigue using natural and holistic therapies
• Intravenous therapies
• Combining the best of conventional and holistic therapies to address chronic and complex health care issues
• Anti-Aging protocols using Botox, Dysport and Peptide Therapy
Kim has had a wide variety of experience as a nurse, from ICU service to Oncology nursing, and is an expert with IV therapies and is committed to her patients being comfortable, safe and well informed.
Kim has been utilizing IV therapies very safely and therapeutically with over 25 years as an IV Nurse, has been administering nutritional and integrative IV’s in many different settings and practices throughout Maryland and Massachusetts. She is able to tailor these therapies to meet individual needs and requirements. Many people can benefit from these therapies and they can jumpstart your road to recovery and health. Treatments Offered Include:
• IV Therapies: Vitamin C Drips, Meyers Cocktails, Glutathione, Mineral IV's,
• Alpha Lipoic Drips. B12/MIC injections
• Botox/Dysport
• Morpheus8, Votiva (vaginal rejuvenation, especially for urinary incontinence)
• Traditional Microneedling treatments
• VIPeels including NEW BODY PEELS
• Heidelberg PH Capsule Testing

10111 Martin Luther King Jr. Highway, Suite #102 Bowie, MD
6196 Oxon Hill Road Suite #240, Oxon Hill, MD

Dr. Trent has a passion for helping people. She has practiced Audiology since 1984, in a number of clinical settings. Her diverse career has included 16 years of teaching and clinical supervision at Howard University, Washington, DC and Temple University, Philadelphia, PA. Dr. Trent has also worked as a clinical audiologist in hospital settings and private ENT practices. Education:
Clinical Doctoral Degree – Audiology-University of Florida, Gainesville, FL
Master of Education – Audiology- Northeastern University, Boston, MA
Bachelor of Science – Communication Sciences and Disorders – Hampton University, Hampton, VA
Dr. Trent holds her Maryland State Licensure in Audiology. She is a Certified Clinical Audiologist (CCC-A) through the American Speech-Language-Hearing Association (ASHA). Presently, she serves on the Board of Directors for ASHA as Vice President for Audiology Practice.


Degrees/Training: DDS, University of Maryland Dental School; General Practice Residency, San Diego Naval Hospital; Prosthodontics Residency, Naval Dental School, Bethesda; U.S. Navy Dental Corps Officer, Commander, USN, (retired).
Professional Memberships: American Dental Association, Maryland State Dental Association, Anne Arundel County Dental Society, Annapolis Dental Study Club, Chesapeake Implant Study Club, University of Maryland Alumni Association.
Practice Philosophy: To follow the “Golden Rule” in all aspects of professional dental care, providing outstanding quality dentistry in a caring, comfortable and comprehensive manner. Lighthouse Family Dentistry will “Light Up Your Smile.”


12200 Annapolis Road Suite #116 Glenn Dale, MD 20769

Board Certified, Ophthalmology by the American Board of Ophthalmology
Degrees, Training and Certificates: UCLA Medical School; Yale University Hospital for Residency; Louisiana State University for Cornea and Refractive Fellowship
Professional Memberships/Associations: American Academy of Ophthalmology; American Society of Cataract and Refractive Surgery; International Society of Refractive Surgery
Areas of Interest: All laser custom LASIK; Cataract Surgery; Botox; Dermal Fillers; Cornea Comprehensive Ophthalmology
Practice Philosophy: Envision Eye and Laser is committed to delivering superior ophthalmic care with state-of-the-art technology and patient education in a caring, compassionate environment. We cater to a diverse population of adults and work with your primary care physician to improve the quality of your overall health and life. Your best vision is our focus.

Dr. Craig Smith is committed to health through dentistry, ensuring you have optimal oral health which contributes to your overall health and well-being.
Quality service, advanced technology and a passionate commitment to education means patients receive the best that dentistry has to offer.
Dr. Smith’s Philosophy: Always listen to the patient and in turn respond in an educational manner so that the patient will understand.
Degrees, Training, and Certificates: Doctor of Dental Surgery (D.D.S.) - Howard University College of Dentistry; 2 Year General Practice Residency; Chief Resident - Harlem Hospital Center (Affiliate of Columbia University); Certified Invisalign Provider
Professional Memberships: National Dental Association
Areas of Interest: All phases of dentistry - cosmetic, implant, crowns and bridges, root canals, veneers, preventive care, Invisalign and whitening.
Hobbies: Mountain biking, racquetball, golfing, and boating. My interests are to continue to deliver quality dentistry and to further reach out to the community to help to increase the peace.
Additional: Many patients do not understand the importance of a healthy mouth, as health problems could arise. I want to educate all of my patients on health through dentistry.





If

Rachel Allen is the President of the nonprofit Natural Beauty Hair Designers Professional Training Center, Inc. and has been the owner of Natural Beauty Hair Salon since 1992, dedicating over three decades to improving lives through education, mentorship, and community support. Under her leadership, the nonprofit organization has become a cornerstone for community outreach and workforce training in Maryland and the Washington Metropolitan Area.
Natural Beauty Hair Designers Professional Training Center provides vital services, including educational programs, workforce development, and mentoring for disadvantaged, foster care, and adoptive youth. Focused on empowering individuals interested in the hair care industry, Rachel’s organization equips participants with the skills and confidence needed to build successful careers.
Rachel is passionate about fostering opportunities for underserved populations and creating pathways to independence and success. Through her unwavering commitment, the Training Center continues to transform lives, enhancing the quality of life for residents in Maryland and beyond. Her dedication has made her a true leader in community development.
Rachel was appointed to the Maryland State Board of Cosmetology in 2017 by Governor Larry Hogan serving a six year term, served as an executive director and board member for National Interstate Council of State Boards of Cosmetology (NIC) in 2020-21, retired Prince George’s County Public School teacher, holds an Advanced Professional Teachers Certification with Maryland State Department of Education (MSDE).
20680 Seneca Meadows Parkway, Suite #218 Germantown, MD

Dr. Mary Alexander, periodontist, obtained a Bachelor of Science degree in Biology from the University of South Carolina and continued her education in dentistry at the University of Maryland School of Dental Surgery where she received her DDS degree. Prior to and during her dental studies, Dr. Alexander received funding and support from the National Institutes of Dental Research for her involvement in the periodontal research.
After obtaining her DDS degree Dr. Alexander spent one year at the Veteran’s Administration Hospital, in general practice residency focusing her training in the area of anxiety patient management. She then attended Harvard University and earned her clinical specialty in periodontics and a doctorate in medical science. Her doctoral research was focused in the study of bone function and metabolic disease of the bone.
Dr. Alexander received extensive training in dental implantology, periodontal plastic surgery, bone regenerative procedures and sedation dentistry. All aspects of Dr. Alexander’s training are incorporated in her periodontal practice assuring patient’s thorough and comprehensive periodontal treatment.


Oral and Maxillofacial Surgeon
Diplomate, American Board of Oral & Maxillofacial Surgery
DMD, MDS • OMFS, MD, PA
77 South Washington Street Suite #205, Rockville, MD
301-294-8700
www.OMFSMD.com

Dr. Sreeni came to the United States as an Oral and Maxillofacial Surgeon in the year 1990 and put himself through dental school again at Boston University and Oral and Maxillofacial Surgery residency at University of Medicine and Dentistry of New Jersey.
As an Oral and Maxillofacial Surgeon, Dr. Sreeni manages a wide variety of problems relating to the Mouth, Teeth and Facial Regions. He practices a full scope of Oral and Maxillofacial Surgery with expertise ranging from Corrective Jaw Surgery to Wisdom Teeth Removal. His passion is in implant surgery and he is well known for same day placement of implants following teeth removal be it for single teeth or a complete “makeover” (Smile in a day). He can also diagnose and treat Facial Pain, Facial Injuries and TMJ disorders and perform Bone Grafting and Sinus lift procedures.
Dr. Sreeni completed a residency in Anesthesiology at Mount Sinai Hospital, New York in 1994 and has worked as an Attending providing anesthesia services for children and adults in the ambulatory out-patient center of the hospital.
Dr. Sreeni is an Advanced Cardiac Life Support instructor with the Adventist group. He is also certified in Pediatric advanced life support and is very capable of handling emergencies that could possibly arise in the office. Dr. Sreeni’s staff are trained in assisting with IV Sedation/General Anesthesia within our state of the art office setting. Patients are continuously monitored during and after surgery. The goal of our office is to provide professional service with compassion and an understanding of the patients’ perspective.

Companion Care: Everyone needs companionship. Whether it’s helping with chores, transportation, socialization or activities like puzzles, our caregivers keep your loved one engaged and active.
Personal Care: A daily routine can be one of the strongest reminders of what makes home feel like home. When those day-to-day tasks get harder, our caregivers help maintain the comfort and familiarity of home life.
Specialty Care: Even though every care situation is unique, Right at Home caregivers are not only experts in specialty care such as dementia and hospice care, but they’re trained to help you cope as well, so you can feel comfortable knowing your loved ones are in good hands.
Live-In Care: This service is when a trained caregiver lives with the client and provides care throughout the day, offering 24/7 support tailored to their needs. We provide long-term, and short-term live-in options ideal for those needing consistent, around-the-clock care or for family caregivers seeking a temporary break.
Home—there’s truly no place like it. It’s where your memories live, where you raised your family, and where friends gathered for life’s celebrations. It has been your sanctuary through the ups and downs of life, and it’s where you want to stay. At Right at Home, our mission is to help you remain where you feel most comfortable—because we exist to be your trusted guide in living well at home, wherever home may be.
Aging, disability, illness, or injury can make staying at home challenging. We believe no one should have to navigate the complex decisions and unexpected changes alone. As experts, we offer more than just care—we provide guidance and support through every step of the journey. Right at Home’s dedicated caregivers are passionate about making a difference in clients’ lives, knowing that with every person they help, they’re making the world a better place.

Submitted
By Right At Home
Are you considering aging in place—staying in your own home rather than moving to a senior residence? While this choice can be ideal, it requires thoughtful planning and a commitment to healthy living.
Begin by assessing what changes your home may need. Consider installing grab bars in the bathroom, improving lighting, and eliminating steps for safety. Technology like medical alert systems and smart home devices can enhance convenience.
Plan for the future: Invest in renovations that accommodate potential mobility issues, such as wider doorways and accessible showers. A professional assessment from a home safety specialist can help identify hazards.
Financial readiness is essential
managing chronic pain.
CBD and THC
Beyond Sativa and Indica, the distinction between Cannabidiol (CBD) and Tetrahydrocannabinol (THC) is crucial. CBD is non-psychoactive and has gained popularity for its potential anti-inflammatory and analgesic properties. It is especially effective in reducing or eliminating seizures in children. In contrast, THC is responsible for the euphoric “high” associated with cannabis use, making it a valuable tool for managing conditions like nausea and chronic pain.
Terpenes are naturally occurring chemical compounds found in plants. They are responsible for the aromas, flavors, and even colors associated with various types of vegetation. What they do in humans is still a bit of a mystery. However, cannabis researchers and consumers alike are increasingly using terpenes to classify cannabis products and predict their effects.
The theory is that a plant’s terpene profile works in tandem with its cannabinoid content — including tetrahydrocannabinol (THC) and
for a smooth transition into retirement. Consult a financial advisor to review your savings and potential home expenses. Long-term care insurance can help cover home care costs if needed. Explore government programs: Medicare and Medicaid may assist with aging-related expenses, and veterans should check benefits from the U.S. Department of Veterans Affairs.
Ensure your legal documents are up to date, including your will and health care directives. Regular medical checkups can help manage chronic conditions, while vaccinations, like the flu shot, are important for overall health.
4. Building a Support Network
Community connections are invaluable for those aging in place. Maintain relationships with family and
Please see “Aging In Place,” page 63
From page 31
cannabidiol (CBD) — to produce the effects people associate with different strains.
This may explain why two different strains with the same level of THC can produce such different effects.
A Personalized Plan
Personalized treatment plans are essential. Patients are encouraged to work closely with healthcare professionals to define the objectives for using medical cannabis.. Patients should seek out a dispensary that can answer a wide variety of questions about CBD, THC, and terpenes to guide patients to the most effective product for their particular needs. As Maryland continues to pave the way for progressive healthcare, understanding the diverse world of medical cannabis is essential for patients seeking natural alternatives. By appreciating the properties of cannabis strains, individuals can make informed choices to enhance their well-being within the framework of the state’s evolving medical cannabis program. Always consult with healthcare professionals to tailor a treatment plan that aligns with your unique health requirements.







Lymphedema refers to tissue swelling caused by an accumulation of protein-rich fluid that’s usually drained through the body’s lymphatic system. It most commonly affects the arms or legs, but can also occur in the chest wall, abdomen, neck and genitals.
Sound familiar? During a lymphatic drainage session, at Magothy Therapy & Wellness, the certified lymphedema therapist will utilize a specialized series of coordinated strokes and rotational movements, that GENTLY stimulate your lymph vessels with a soft skin stretch that moves lymph fluid in an appropriate direction. Using this technique is effective & can help alleviate symptoms from a variety of conditions.
Sunday, March 2 – Lymph Flow Fusion Class at Yoga Barn in Severna Park from 1pm to 2:30pm
How to Support Your Lymph System
Self Guided Lymph Massage • Breathe with Movement Juice from Annapolis Juice Shop to Follow
277 Peninsula Farm Road, Building 3, Suite “I”, Arnold, MD 21012 (Located within Inspire Wellness Center) www.MagothyTherapy.com • kbarry@magothytherapy.com 202-681-1779


By Kaitlin Barry MS, OTR/L, CLT Magothy Therapy & Wellness
March 6, 2025, marks the 31st annual Lymphedema Awareness Day established by National Lymphedema Network (NLN) & 10th annual World Lymphedema Day established by the United States Senate in response to a bill written by the Lymphatic Education & Research Network (LE&RN). Each year, this day honors inspirational patients, exceptional caregivers, and individuals who have made remarkable contributions to improving the lives of those
who suffer from lymphedema. What Is Lymphedema?
Lymphedema is a chronic condition that develops when a body region becomes overloaded with protein rich lymphatic fluid and swelling occurs. This typically happens when vessels are damaged or malformed. Most often, lymphedema is the result of surgery and/or treatment for breast, prostate, gynecological cancers, or melanoma (secondary lymphedema) but people can also be born with Lymphedema (primary lymphedema). If the condition is left untreated, it leads to progressive tissue swelling over time, reduces healthy blood flow, interferes with wound healing and enables bacteria growth – all of which can lead to increased risk for tissue infection. Lymphedema should not be confused with other types of edema resulting from venous insufficiency, cardiac conditions, kidney failure or other inflammatory processes – these
Please see “Lymphedema,” page 65

By Sabrina Milanovich Psychic Meditation Center
Health goes beyond just the physical body—it involves the balance of body, mind, and spirit. Achieving this harmony can help you lead a healthier, life. Here’s how energy quantum healing, holistic therapies, and intuitive guidance support your wellbeing.
Energy Quantum Healing: Restoring Your Natural Energy Flow Energy quantum healing op-
erates on the principle that your body’s energy field extends beyond the physical body. When this energy becomes blocked or imbalanced, it can affect your health. By addressing these disturbances, energy quantum healing helps restore a harmonious flow of positive energy, promoting overall wellness. This practice not only supports physical healing but can also prevent future health issues by addressing energy imbalances before they manifest physically.
Holistic Therapies:
Vibrational Medicine For Healing
Holistic therapies like meditation, sound immersion, and chakra balancing focus on vibrational medicine, influencing your body’s heart rate, blood pressure, and emotional state. Sound waves, for example, are believed to penetrate deep into your body, relieving stress and tension while unblocking energy. These therapies can help reduce anxiety,
Please see “Holistic Healing,” page 65





By Ademuyiwa Adetunji, DPM Largo Foot & Ankle Health
Causes and Symptoms
Poor blood circulation in legs

Whirlpool Available
Diabetic Foot Care
Foot Exfoliation
Orthotics
and feet is a condition that may cause damage to the tissues in these parts, causing utter discomfort and a wide array of other symptoms. Though the condition is usually seen in elderly, it may develop in young people too. Apart from the increasing age, there are various factors that play a key role in causing this problem. They include genetics, lifestyle factors, medical conditions, etc.
Bunions, Hammertoes
Ingrown Nails
Warts Most Insurance Plans Accepted • Visa, Mastercard and Most Cards Accepted Out Patient Surgery, Ambulatory Surgical Center and Hospital Surgery Evening Appointments Available • www.AdeAdetunji.com


Mercantile Lane, Suite 151 • Largo, MD 20774 www.largofoot.com • feetforlife@largofoot.com
We use state of the art technologies and techniques while practicing evidence based medicine to deliver the highest level of medical care to our patients. Some of the therapies we provide are mentioned below:
• Spinal Cord Stimulation (SCS)
• Epidural Steroid Injections
• Facet Joint Injections
• Radiofrequency Ablation
• Medial Branch Blocks
• Sacroiliac Joint Injections
• Kyphoplasty
• Selective Nerve Root Blocks
• Sympathetic blocks
• Celiac Plexus Blocks
• Joint Injections
• Peripheral Nerve Stimulation
• Minimally Invasive Lumbar Decompression (MILD)
One of the most common causes of poor circulation in feet is peripheral vascular disease, which is otherwise known as peripheral artery disease (PAD). This condition is characterized by obstruction or narrowing of the large arteries that are far from the heart and the brain. Most commonly, this occurs in the extremities, especially the feet and the legs.
The causes for peripheral vascular disease may also vary, but the most common one is atherosclerosis (narrowing of arterial walls with fatty deposits like cholesterol). Contributory factors include:
• Smoking
• High cholesterol
• High blood pressure
• Physical inactivity
• Obesity
• Diabetes
Even pregnant women may experience the symptoms of poor blood
circulation in feet.
Poor blood circulation in feet and legs may cause various symptoms that may vary with the underlying cause as well as the severity of the condition:
• Fatigue, tiredness, or pain in your legs, thighs, or buttocks that always happens when you walk but goes away when you rest
• Foot or toe pain at rest that often disturbs your sleep.
• Skin wounds or ulcers on your feet or toes that are slow to heal (or that do not heal for 8-12 weeks)
However, many individuals with poor circulation do not experience typical leg symptoms such as cramping, pain, or fatigue known as claudication. Apart from pain and cramps, some of the affected people may de-

By Dr. Anver Khan Chesapeake Spine & Pain
Lumbar radiculopathy, commonly known as sciatica, can be a debilitating condition characterized by pain, numbness, or weakness radiating along the sciatic nerve pathway. Among the arsenal of treatments available, epidural steroid injections (ESIs) have emerged as a valuable tool in managing this condition, providing relief and improving function for many patients.
ESIs are minimally invasive
procedures in which corticosteroids, powerful anti-inflammatory agents, are injected directly into the epidural space surrounding the spinal nerves. This targeted delivery allows for a concentrated dose of medication to reach the affected area, reducing inflammation and alleviating symptoms associated with lumbar radiculopathy.
One of the primary benefits of ESIs is their ability to provide both short-term and long-term relief from pain and discomfort. While the immediate effects of the steroid injection may last for several days to weeks, the cumulative anti-inflammatory effect can lead to prolonged relief, allowing patients to participate in physical therapy and other rehabilitative measures more effectively.
Moreover, ESIs offer a relatively low-risk treatment option compared to surgical interventions. By avoiding the
Please see “Steroid Injections,” page 66
Back pain is the second most common reason people visit physicians in the US, with neck pain close behind. The spine and adjacent tissues are pivotal in nearly all major bodily movements.
Chiropractic services are used most often to treat neuromusculoskeletal complaints, including but no limited to back pain, neck pain, pain in the joints of the arms or legs, and headaches.






Drug and Alcohol Testing also Available.
Since opening in 2003, Winters Chiropractic & Physical Therapy has remained dedicated to providing expert chiropractic, physical therapy, and DOT/CDL services. Our doctors provide tailored treatments that ensure you make the most gains at a comfortable, steady pace. The ultimate goal of any chiropractic or physical therapy program is to restore your physical health to its previous form. With our small practice, we have the advantage of maintaining personal relationships without compromising our ability to provide advance care.
(located inside of Hol-Body Yoga Studio)
Family Wellness Services
• Natural and Herbal Remedy Consults
• Family Planning
• Childbirth Education
• Natural Healing Education
Women’s Health/Womb Wellness
• Birth/Postpartum Doula Services
• Fertility Support
• Womb Meditation
• Womb Massage
• Vaginal/Yoni Steams
Spiritual and Mental Wellness
• Etheric Touch Sessions
• Reiki Sessions
Coming Soon:
• House Blessings
• Divinations
• Doula Training begins January 2024 for In Person Classes
Shirleta Henson McKann 410-265-9393
319 Crain Highway, S. Glen Burnie, MD 21061
Walk-In Hours Every Tuesday 4pm-7pm
Facebook: DReM’s Legacy Holistic Wellness Center
Instagram: @drems.legacy.holistic.wellness


By Chris Gooding LCSW-C, Social Worker Hospice of the Chesapeake
There are many moving stories about how a hospice social worker helped a patient get married or take that one last trip to the ocean. These are impactful, memory-making moments that go a long way to honor the patient’s final wishes while helping a

family heal after their gone.
But I’m not going to share those kinds of moments.
I’m going to share moments like helping the patient make a phone call to an estranged family member -- or giving them permission to NOT make that phone call. Counseling a daughter whose mother no longer knows who she is due to dementia. These are moments that matter, everyday moments, that are nurtured by a hospice social worker.
Families can be messy. For many, making moments that matter means reconciling grudges or misunderstandings. A social worker might start some conversations with the patient to explore the history of the rift and what the difficulties are. Then, there can be a family meeting where the social worker is a third-party intermediary to guide a talk about giving or asking forgiveness.
The moment that matters here is to give all involved healing before the patient dies and they’ve lost the opportunity. For the patient, this unfinished business could cause extra stress at the end of their life, leaving behind unresolved issues.
Sometimes a patient is not able or willing to reconcile. Then social workers become a support for the family to help them find in some other way the peace they hoped would happen before their person died.
Memory making moments like going to an Orioles game or making a big birthday party happen can be a challenge for social workers that leads to an important moment for everyone. But I’m also helping to make moments that matter each time that I am with a patient who shares how great it is to watch Jeopardy with their family or asks to help them call a long lost relative to say, “I’m sorry.”
Some moments that matter are even simpler. A family asked that I visit their father every week, which I did for three months while he was in our care. On a few visits I had to complete about five minutes of paperwork. The rest of the time was just being there. To listen. To talk. Each week I knew I made a difference. Each week I knew I had made moments that mattered.
Studio 5 Hair Gallery Specializing in Restoring & Enhancing
Your Hair’s Natural Beauty
Located in scenic Southern Maryland, Studio 5 Hair Gallery is well known in the medical community for customized solutions for hair loss. We provide the finest synthetic and human hair wigs, hair extensions, and top-of-the-head hairpieces. For over 12 years, Studio 5 Hair Gallery has served its clients with compassion and excellence. call 301.884.3553 for your appointment today! Please mention this Flier when setting up your appointment.

& Women’s Hair Systems • Extensions
loss
Studio 5 Hair Gallery hair replacement specialists are empathetic to your needs at this difficult time and will do everything possible to make you feel comfortable.
















Submitted by E. Taylor Meiser, DDS
Lighthouse Family Dentistry
There are several ways to whiten teeth and several ways not to. There are many types of whitening treatments on the market to choose from. The choices are very different in their methods, materials and time it takes to see results. Whitening choices can be broken down into various types:
• professional or over-the-counter
• in-office or take-home
• tray system or tray-less Professional Or Over-the-Counter
Over-the-counter (OTC) whitening products are sold everywhere – in the supermarket, on TV and in magazines and even on the internet. These products range from special toothpaste, floss, and mouth rinses

to white paint-on stuff to make-yourown bleaching tray systems. The common factor for over-the-counter whitening systems is that they are cheaper than the professional treatments by your dentist and often claim to be just as effective. They are cheaper, but they are not as effective (if at all).
Professional whitening treatments are better and more effective than OTC products. Your dentist will know what type of system will work for you. The dentist has the knowledge and systems available to get the best results possible in the least amount of time. The dentist also will make sure the treatment is safe and comfortable, and will not damage your teeth, gums and overall health.
In-office treatments are the best and quickest. The dentist can use equipment and materials that can’t be used at home. The dentist can monitor the results and treat accordingly until the desired outcome is achieved.
Take-home tray systems are less expensive than the one-hour in-office whitening treatment, but they require wearing fitted plastic trays filled with

whitening gel for 30-60 minutes a day for 2-3 weeks. Results will vary according to the time the trays are worn daily and to the concentration of the whitening gel. Tray systems (especially the professionally provided ones) can be very effective with excellent results in a reasonable amount of time. Beware of self-fitted OTC tray systems that can leak the bleaching gel into your mouth.
One advantage of a tray system is that several months down the road
you can do a touch-up treatment as the whitening fades. No whitening is permanent, but some types last longer than others (1-3 years). Usually, only a minor touch-up tray treatment is necessary to get back to prior whiteness.
Whitening choices make a brighter, whiter smile available to almost everyone. See your family dentist to determine what system is best for you.

health outcomes.
The synergy between meditation and acupuncture creates a powerful tool for self-care and overall well-being.
Understanding Meditation and Its Techniques
Meditation is an ancient practice that helps you clear your mind and find emotional peace. It involves concentrating on something specific, like your breath or a guiding image, to improve your focus and awareness. Read on so you can better understand how to master meditation with acupuncture.


Meditation and acupuncture are two ancient practices known for their profound impact on mental and physical health. Meditation involves focusing the mind to achieve a state of calm and awareness, offering numerous benefits such as stress reduction, improved concentration, and emotional well-being. Acupuncture, a key component of traditional Chinese medicine, involves inserting thin needles into specific points on the body to balance energy flow, alleviate pain, and promote healing. How To Master Meditation With Acupuncture is a guide that explores how these practices can be combined to enhance overall well-being.
Combining these practices can amplify their individual benefits:
Enhanced Relaxation: Acupuncture can help deepen your meditation practice by promoting relaxation and reducing physical tension.
Improved Focus: Meditation enhances mental clarity, which can make acupuncture sessions more effective.
Balanced Energy: Both practices together help harmonize the body’s energy, leading to better
Common Meditation Techniques
Here are some popular meditation techniques:
Breath Awareness: This technique involves focusing on the breath. You pay attention to each inhale and exhale, which helps bring your mind back to the present moment whenever it wanders.
Guided Imagery: In guided imagery, you follow along with a mental visualization led by an instructor or audio recording. This method can help you relax by imagining peaceful scenes and scenarios.
Mindful Meditation: This practice encourages you to be fully present in the moment. It involves observing your thoughts and feelings without judgment, promoting a deeper understanding of yourself.
Knowing how to meditate properly can help you incorporate acupuncture into your wellness routine. Each method has its own benefits and can be customized to suit your needs and preferences.
To continue reading this article, please visit: https://yhm.news/WAA





A psychiatric rehabilitation program offering a day component, residential, vocational and in-home support services. Let us show you how to move from the solitude of symptoms to the freedom of achievement.
NOW OFFERING: Wellness and Recovery Community Center - This is a program that provides support from peers for both mental health and substance use disorders for people actively working on their recovery.
Quansheng Lu, CMD, PhD, L.Ac www.wholelifeherb.com • luquansheng@gmail.com 301-340-1066 • fax:
Guest professor, Henan University of Traditional Chinese Medicine (TCM) Chief TCM Physician, WFCMS; M.S. in TCM, Beijing University of TCM PhD in integrated medicine, China Academy of Chinese Medical Sciences Fellowship, Georgetown University & Children’s National Medical Center 3 patents, 8 books of TCM, 30 papers, 30+ years of experience in TCM
Low back pain • eczema • arthritis • allergies • cough • insomnia • paralysis obesity • nephritis • hepatitis • infertility
PMS
side effects of cancer treatment 416 Hungerford Drive, #300 Rockville, MD 20850 5022 Dorsey Hall Drive, #101 Ellicott City, MD 21042


OASIS

•


By Joyce Abramson, RNMS Charles County Freedom Landing
There has always been much said in the media about mental illness, particularly schizophrenia. There was the tragedy many years ago of the Yates family and five dead children, and the tributes given to the movie Beautiful Mind at the Oscars back in 2002. How does one sort out how to respond to
such divergent aspects of an illness? Anger, horror, and fear are natural responses to physical harm or death as in the Yates’ situation. Astonishment, hope, respect may be some of the emotions evoked by the movie honored in 2002. However, I suspect for many people fear and avoidance are more frequently associated with mental illness.
In the real world, for many people diagnosed with schizophrenia or other serious mental illnesses, they struggle to manage symptoms of the illness without ever harming anyone physically or achieving the national achievements of Nash in the movie. They are learning daily to manage an illness that can exhibit many facets. People do experience voices, see visions that seem real and are not real. They have difficulty sorting out some
Please see “Mental Illness,” page 63

By Ashley Pimperl MSN, CRNP, FNP-C Oasis Advanced GYN Surgery
Menopause marks a significant transition in a woman’s life, representing the end of her reproductive years. This natural biological process typically occurs between the ages of 45 and 55, with the average onset around 51. It is defined as the point when a woman has not had a menstrual period for 12 consecutive months.
Menopause is often preceded by perimenopause, a phase that can start several years before the last menstrual period. During perimenopause, women
may experience irregular periods, hot flashes, night sweats, mood swings, and sleep disturbances. These symptoms result from fluctuating hormone levels, particularly estrogen and progesterone.
Once a woman reaches menopause, she enters postmenopause. In this phase, many of the symptoms experienced during perimenopause gradually diminish. However, some women may continue to experience hot flashes and other symptoms for years after their last period.
Menopause brings several health considerations. The decline in estrogen levels can increase the risk of osteoporosis, a condition where bones become brittle and fragile. Women in postmenopause are also at a higher risk for cardiovascular diseases due to changes in cholesterol levels and blood pressure. Moreover, menopause can affect mental health. The hormonal changes can contribute to mood swings, anxiety, and depression. Sleep disturbances, common during this period, can further exacerbate these issues.

By Quansheng Lu, CMD, PhD, LAc Wholelife Chinese Medicine & Acupuncture Center
For thousands of years, Traditional Chinese Medicine (TCM) has been a therapeutic mainstay in China and is gaining increasing recognition in Europe and the United States. A growing number of individuals are seeking healthcare solutions from Chinese medicine and other Complementary and Alternative Medicine (CAM) practices. According to the National Center for
Complementary and Alternative Medicine (NCCAM), approximately 38% of all adults, 44% of those aged 50-59, and 12% of children reported using CAM in 2007. Notably, 24-44% of epilepsy patients are already incorporating CAM into their treatment regimens.
The ancient Chinese text, Huang Di Nei Jing, dating back over 2,000 years, mentions epilepsy. Chinese herbal medicine and acupuncture are the primary modalities within TCM. Recent studies suggest promising results for epilepsy treatment using Chinese medicine therapies, including herbal medicines and acupuncture.
Traditional Chinese herbal remedies, deeply rooted in historical practices, have been employed for epilepsy treatment. For instance, Gastrodia’s root, known as tian ma, is a common remedy in China for epilepsy and other ailments. The traditional herbal formula-
Please see “Epilepsy,” page 63

At Kensington Pharmacy, in addition to having your prescriptions filled with speed and accuracy, you will experience one of the best services and notice the difference.
With 14 employees, Kensington Pharmacy gives a special attention to each customer that they deserve. Stop by and experience the difference.
Submitted by Kensington Pharmacy
Do you have a nasal allergy? Nasal allergies cause the lining of your nose to become swollen and inflamed. Do you have:
• A runny nose with a thin, watery discharge?
• Nasal itching and congestion?
• Red, itching eyes?
• Sneezing?
• Drainage from your nose down the back of your throat?
If so, you may be a nasal allergy sufferer. Your pharmacist can help you decide whether to see a doctor or whether to treat your symptoms yourself.
The next question to ask yourself is if your allergies are perennial, seasonal, or both?
Many different triggers can cause nasal allergies.
Perennial Triggers
• Dust mites
• Animal hair or dander
• Indoor mold
Because these triggers are present all the time, these allergies are said to be perennial.
Seasonal Triggers
• Pollen from trees
• Ragweed
• Grass
• Weeds
Because these triggers are around only during certain times of the year, these allergies are said to be seasonal. Some people suffer from both per-ennial and seasonal allergies. They may have symptoms all year round, but they tend to be worse during certain seasons.
How Do I Avoid the Triggers That Cause My Nasal Allergies?
Avoiding triggers entirely probably is not possible. But you can do a number of things to minimize them. Talk to your doctor or pharmacist about specific products – such as filters and bedding covers – that can help you clear your environment of triggers.
Please see “Nasal Allergies,” page 63
• Prescription Refills via On-line or Phone 24 hours a day
• Flu Shots, Shingles and Pneumavac Vaccines
• Prescription Plans including Medicare Part-D and Part-B, CVS-Caremark
• Transfer Of Your Prescriptions
• Compounding Specialists
• Wide Vitamin Selection
• And More Kensington Pharmacy Offers
• Blisterpacking For Assisted Living Facilities
• BOIRON Homeopathic Remedies
• Greeting Cards, Select Books and Gifts
• Wide Home Health Care Selection Wheelchairs, Canes, Walkers, Medical Legsupport, Arthritis and Sport Aids, Bath Aids
• Toys and Books for Children

By James A. Cleaver, Esq. Alexander & Cleaver
Losing loved ones presents a deeply emotional time. Life will never be the same, and we all must cope with it at some point in our lives. Many believe when we finally lay our loved ones to rest, we can simply go into their home and take the items we want and split whatever money
is left in their bank accounts. This is simply not the case. In most instances, no property can be obtained from a deceased person without going through a formal estate administration process - even if the person who died left a Will.
Estate administration in Maryland refers to the legal process of conducting and distributing a deceased person’s assets and bills. The process typically involves identifying and appraising the decedent’s assets, paying off any legally enforceable debts and taxes owed, and distributing the remaining assets to the beneficiaries named in the decedent’s will (legatees) or as determined by Maryland law (heirs).
In Maryland, estate administration is typically supervised by the
Please see “Loved One,” page 66

By Yemi Adesanya-Famuyiwa, MD Montgomery Fertility Center
Being in nature can be salubrious to your health. Nature is calming and restorative.
There is some physiology behind this phenomenon. The Japanese have long practiced the art of tree bathing or forest bathing. Walking through the woods for as little as 10 to 20 minutes can be extremely restorative.
Trees themselves release oxygen and soak up carbon dioxide in the atmosphere. We all know this and that’s why we encourage indoor plants. In addition to the oxygen being released
are chemicals called phytoncides.
It turns out trees release organic compounds called phytoncides. These chemicals help plants defend themselves against microbial infections, such as from bacteria or fungi, and protect them from invasion from certain insects.
The Japanese art of tree bathing enfolds you in the phytoncides released. These chemicals are also known to improve your immune system by increasing your natural killer cells activity.
Natural killer cells can marshal your body’s immune defenses against viruses and germs and protect you from even tumor formation. There is data that suggests that your increased natural killer activity after a trip to the forest can last for as much as 30 days.
In addition, these chemicals can help you fight off tumor invasion. They have anti-cancer proteins; they also help to lower your blood pressure and heart rate as well as stress hormones. They help to reduce anxiety as well as depression.
Tree bathing can decrease your stress levels which may help you in your fertility journey.


By Janet V. Johnson, MD Loving Care Pediatrics
Natural preferences for the foods we enjoy the most are developed, so the challenge in most families is to make healthy choices appealing. Children should be eating whole foods or minimally processed food. We should consume foods that are as close to their natural form as possible.
gathers. Everyone can come together and the time spent can offer an opportunity to catch up on the activities of each family member. Get the children involved in shopping for groceries and preparing meals. You can teach them about different foods and how to read food labels. In addition, they are more likely to eat what they helped prepare. Be aware of portion sizes, you can obtain this information on MyPlate.gov. Never insist that your child clean their plate, and never use food as a reward or bribe.
Make healthy snacks available. Keep plenty of fruit, vegetables, and healthy beverages (water, milk, and limited amounts of pure fruit juice) on hand so the children can avoid unhealthy snacks like soda, chips, and cookies.
Restaurant and takeout meals have more added salt, sugar and unhealthy fat. Strive to cook more meals at home, where the family
Be a role model for your children. Their impulse to imitate is strong so don’t ask your child to eat vegetables or fruits while you eat cookies, chips or other less healthy foods.
Please see “Healthy Eating,” page 63


Iwas born and raised in Brooklyn, New masters at Long Island University in Brooklyn New York and completed my medical degree at State University of New York at Buffalo, School of Medicine in 1991.
many others, please call the office at 301403-8808 to schedule a visit. We look forward to seeing you at Loving Care Pediatrics— Janet Johnson MD and Staff.
My postdoctoral training was received at Howard University/District of Columbia Hospitals combined Residency Program, Department of Pediatrics in Washington, DC completed in June 1994. I served as Chief Resident for the Department of Pediatrics, January 1994. I obtained Continuity Clinic Awards from 1991 to 1993 based on partic ipation and involvement in community clinics during my residency training.
I am Licensed in Maryland, Board Certified in Pediatrics and Adolescent Medicine and a Fellow of the American Academy of Pediatrics.

In addition, I am dedicated to volunteering my time to community outreach projects, youth groups, health fairs, various church functions and committee boards as well as for those who are less fortunate. Donating of my talents, time and treasures and giving back and serving those who are in need. I am an active member in The Prince George’s Community Advisory Group and served as the Medical Director for the Mid-Maryland Mission of Mercy two day free Dental Clinic sponsored by Catholic Charities Archdiocese of Washington in August 2013.
to be recognized in the community it serves for compassionate patient service, and clinical
To create a caring environment with a commitment to foster a work environment where individual diversity is valued and recognized, also where the satisfaction of all patients regardless of their background is the fundamental goal of our every action, with the practice of medicine being recognized and honored as a uniquely noble pursuit.
I have been in Private Practice for 22 years. I practice general pediatrics: examining, diagnosing and treating most of the diseases of children from birth to 21 years of age. With referral to specialists when the need arise. The practice is certified by the Prince George’s Health Department to administer Yellow Fever Vaccination. The practice provides vaccines for overseas travel to those individuals traveling out of the country and in need of an official certificate of vaccination (Yellow Book).
I make every attempt to ensure medical care to my patients is as convenient as possible. If your child becomes ill during the night you may contact the office via the answering service and speak with me for an emergent next day appointment. We also have same day appointments. Most insurances are accepted including: Aetna, Care first Blue Cross, Blue Choice, Amerigroup, Americhoice United Health care, Teamsters, Tricare, most government plans, Maryland Medicaid, self-pay, and
Practice Philosophy Janet Johnson MD and Travel Health Medicine is committed to servicing its patients, parents and community by providing excellent and compassionate health care service to a culturally diverse population that promotes the dignity and well-being of the people we serve.
Vision Statement Janet Johnson and Travel Health Medicine goal is to be recognized in the community it serves for compassionate patient service, and clinical excellence. To create a caring environment with a commitment to foster a work environment where individual diversity is valued and recognized, also where the satisfaction of all patients regardless of their background is the fundamental goal of our every action, with the practice of medicine being recognized and honored as a uniquely noble pursuit.
Company Values Core Values These core values bring to life our mission and place special demands on how we behave.
Integrity: We are consistent and honest in word and deed. Commit to the highest standards of ethical conduct, respect, competence and safety.
Quality: We provide service excellence in meeting client expectations. We ensure commitment to excellence for our patient and communities.

Respect: We behave in a way that honors self and others. There is respect for diversity and individual differences. We embrace that diversity of individuals, ideas and expressions so as to achieve better multicultural understanding of our fellow man.
Collaboration: Cultivate positive relationships while embracing

Our mission is to assist our patients in creating the families of their dreams, whether it be at the present or to maintain the possibility in the future.
Medical Director Dr. Famuyiwa, a double board certified fertility specialist and an advocate for personalized holistic fertility care, is at the forefront of providing state-of-the-art care based on emerging and advanced new technologies in the most compassionate of manners.





Many patients who have been successful in their weight loss journey, once the weight is gone, are disappointed to find that their upper arms do not look the way they expected. Weight loss is a major contributing factor to sagging excess skin on your upper arm. When you gain weight, the skin stretches to accommodate more fat. Unfortunately, skin doesn’t contract as easily as it expands. Loose
skin and remaining pockets of fat on the upper arm are very common after weight loss.
An Arm lift or Upper Arm Liposuction are both surgical procedures that can improve the appearance of your upper arms; however, they have different focuses and approaches.
An arm lift, or brachioplasty, will tighten, lift, and smooth the skin and tis-
sues of your arm for a more sleek and sculpted shape. The focus is on removing the excess sagging skin and attached fat to improve both the upper arm size and contour. An arm lift has a longer incision extending from the underarm to the elbow.
Arm Liposuction is a minimally invasive procedure for removing pockets of fat from the upper arm. It requires few,
smaller incisions and doesn’t tighten the skin.
In many cases, both procedures are performed together for the best results. An arm lift can be helpful for people who have lost a significant amount of weight and whose skin can’t contract over their smaller arms. Arm liposuction effectively removes fat deposits that don’t respond to diet and exercise.












needs of each patient. Whether you’re undergoing a complex procedure or a routine dental treatment, your peace of mind is our priority.
Patient-Centric Approach:
At Total Dental Care, we prioritize your comfort with a patient-focused approach, offering amenities such as heated chairs with massage features, ensuring a relaxed experience. Our team is dedicated to fostering a positive dental experience, emphasizing
From page 12
communication and education to empower patients in making informed decisions about their oral health.
Total Dental Care stands as a beacon of excellence in dental health, providing total solutions for patients seeking comprehensive, detail-oriented care. Experience the difference with our wide range of services and patient-focused approach, ensuring your journey to a healthy smile is seamless and satisfying.
ably in the office, involves local anesthesia, after which the offending portion of the nailplate is removed – right down to the root. Next, a chemical is applied to the root to cauterize the matrix cells. This ends the production of nail along the side of the nail and prevents the development of an ingrown nail. The remainder of the nail is not affected. No stitches are needed and only a small bandage is applied.
• Pace yourself to avoid exhaustion. Take breaks if you run out of breath, and cease shoveling immediately if you feel chest tightness.
youthful facial structure – and better oral health. But perhaps the biggest surprise about the all-on-four is how quickly it can transform your life.
What’s The All-On-Four Dental Implant Procedure Like?
First, either local or general anesthesia will be administered.
Second, the dentist or surgeon will prepare your mouth for the implants, which involves removing your remaining teeth that are failing. They will then remove any diseased or infected tissue from your jaw and gums.
From page 17
Post-operative care requires daily wound cleansing for about two weeks, but pain is minimal and regular activity and shoewear are only minimally affected. There is usually no time lost from one’s daily routine.
Additionally the possibility of recurrence is small, making this a comfortable and permanent correction for this common problem.
From page 18
• Dress warmly, paying extra attention to extremities such as the nose, ears, hands, and feet.
• If you or someone you know experiences back or neck pain during the winter, seek evaluation and treatment from a chiropractor for a safe and healthy season.
cies and a decline in overall health. Additionally, these individuals may experience pain, speech difficulties, and feelings of embarrassment and reduced self-esteem, ultimately contributing to social isolation and loneliness.
Medical Considerations
A significant 39% of individuals aged 65 and older report using five or more prescription drugs, a situation that can become more complex when multiple healthcare providers and pharmacies are involved. It is crucial for dentists to regularly review the medical history and current medications of aging patients.
Xerostomia (Dry Mouth)
Dry mouth affects approximately 30% of patients over 65 years old, with this number increasing to 40% among those over 80 years old. This condition can be triggered by more than 400 commonly prescribed medications and can lead to mucositis, cavities, cracked lips, and a fissured tongue. To combat this, it is recommended to stay hydrated by drinking water throughout the day while limiting alcohol and sugary or caffeinated
From page 22
beverages such as sodas, and coffee.
Dental Insurance Coverage
Surprisingly, half of seniors neglect to visit a dentist, with cost being the primary deterrent. Shockingly, around 70% of seniors lack dental insurance. Traditional Medicare does not cover routine dental care, and even Medicare Part A offers limited coverage for “medically necessary” dental benefits. Medicare Advantage plans with dental coverage often provide minimal benefits.
Tips For Maintaining and Enhancing Oral Health
• Brush your teeth twice a day using a soft-bristle toothbrush. An electric toothbrush may be advantageous for those with limited mobility.
• Floss daily to clean between your teeth.
• If you wear dentures or partials, remember to clean them daily.
• Opt for tap water, which contains fluoride to help prevent tooth decay.
• Regularly visit a dentist for checkups and dental care.
Next, they will insert the titanium screws into your jawbone. Most likely,
carcerated. Incarcerated hernias may lead to problems with blood supply of the trapped tissue, especially so if the intestine is the trapped tissue. This would require emergency surgical treatment.
Many hernias are noticeable but do not cause any problems. Those hernias are said to be asymptomatic. Other hernias, however, may cause problems such as pain, progressive increase in size, or limitation of daily activities. In severe cases, the hernia is incarcerated containing trapped intestines in the bulge causing intense pain and/or vomiting. This is considered an emergency.
Many asymptomatic hernias can be observed. If the hernia is small
Maybe one day every possible treatment option will have been adequately studied but what is one to do now?
First of all is communication. Physicians are trained in many subjects but often listening and communicating are lacking. A legendary physician named William Osler said, “Listen to the patient, he is telling you the diagnosis.” Doing so not only comforts the patient, and creates trust, but also may go a long way to avoid unnecessary tests and treatments.
The system doctors function in often does not give them the time to listen to what their patient is actually saying. They don’t have the time to listen and instead are trying to figure out which box to put a patient in so they can come up with a plan and move on to the next patient.
It is critical to know what types of treatment a patient is willing to pursue.
they will place two implants toward the front of your mouth and two towards the back of your mouth so the “anchors” can evenly bare the force of the denture.
After the implants have been placed, they will thoroughly clean the surgical sites and suturing all the incisions. Then you’ll be taken to a recovery room where you can relax and take time to wake up from the anesthesia.
Schedule a consultation with an All-On-Four provider. It’s the best way to find out how dental implants can change your life.
From page 21
and there are no major symptoms then it is often reasonable to simply observe. For large and symptomatic hernias, patients benefit from surgical repair to eliminate the associated pain and to restore normal functioning as it relates to daily activities. Surgical repair will also reduce the risk of an emergency situation. In emergency situations, where there is trapped tissue with associated intestinal obstruction or risk for loss of blood supply, surgical treatment is mandatory.
Management decisions for hernias are influenced by factors such as the location, size, symptoms of the hernia and medical condition of the individual.
From page 22
Often a patient knows intuitively what will or will not work for them. And if they really do not want to pursue a treatment option but do so anyway, there is a higher chance it will not work, like a reverse placebo effect (the nocebo effect).
Finally, taking from the best of all approaches is critical to good health. Give the body what it needs in terms of nutrition, vitamins, exercise and rest. When necessary, intervene for as short of time as possible with prescriptions and surgery. Look for healing herbs that can help. Supplement with low doses of safe hormones when a deficiency causes a problem. And make sure you find a doctor who listens carefully to your history and for the interrelationship between symptoms…often (though not always) there is one root cause that has given rise to a multitude of symptoms, each of which must be addressed.
friends and consider services like meal delivery and transportation assistance. Research local resources: Community centers often offer social activities and support groups. Senior ride-sharing services or discounted transit options may also be available.
5. Preparing For the Unexpected Despite the best plans, circum-
HFrom page 44
stances can change. Having a contingency plan is crucial. Research local home care agencies and rehabilitation centers in case you need temporary care after a hospital visit.
If aging in place becomes unfeasible, familiarize yourself with local assisted living options. Stay informed about real estate and care services in your area to avoid surprises.
Healthy Eating Tips For Families On The Go School Lunches For Your Kids. Pack lunches with whole grains, fruits, lean, all natural meats and healthy snacks, such as nuts and dried fruits.
Healthy Breakfasts – Quick and Easy. Get rid of the sugar-filled neon-colored “breakfast” cereals. There are dozens of great-tasting, allnatural, organic cereals. Also, try a breakfast smoothie. MyPlate.gov
Healthy Snacks In the Car. Have non-perishable healthy snacks in your car for when your little one is hungry on the road. Dried fruits, nuts and healthy individually-packaged snacks are a good option.
Freeze Your Meals. If you take the time to make a healthy, homemade meal, they are safe to be placed
From page 59
in a vacuum-sealed container and put in the freezer, they can often keep for several weeks.
Make Time For Sit-Down Meals. Try to have at least three (preferably four) family sit-down meals a week. It helps strengthen the family bond. There is nothing that brings people together like food! It also helps show children the importance of taking time to be with people they love. Fiber. Not an essential nutrient, performs several vital functions: Natural laxative and may lower cholesterol concentration in the blood. A high-fiber intake also supplied greater amounts of vitamins A, B6, B12, C, niacin, thiamin, riboflavin and folate, as well as the minerals magnesium, iron, zinc, calcium and phosphorus.
Seasonal and perennial nasal allergies can be treated effectively using medications. Many are available without a prescription. Talk to your doctor to determine which one is best for you.
Antihistamines:
• Oral medications (taken by mouth)
• Nasal sprays
How it might help: Reduces itching, sneezing, eye irritation, and runny nose.
What to keep in mind:
• Not effective for nasal congestion.
• May cause drowsiness.
• Antihistamine nasal sprays may leave a bad taste in the mouth.
Decongestants:
• Oral medications (taken by mouth)
• Nasal sprays
How it might help: Reduces nasal congestion.
What to keep in mind:
• Can cause difficulty sleeping, loss of appetite, or excessive nervousness.
of their perceptions and whether they are exaggerated or “normal”. They are working to perform every day tasks while experiencing these symptoms to a greater or lesser degree. Medication, in recent years, has helped with symptoms. Talking with someone; therapist, rehabilitation staff, family or friends to “check out” what is accurate helps. Exploring ways to continue daily activities and responsibilities while addressing specific symptomatology is an important part of the recovery process.
The medical field and those diagnosed with a serious mental illness are learning much these days about what and why these illnesses occur. As the answers unfold, there will be more
Managing menopausal symptoms often involves lifestyle changes and medical treatments. A balanced diet rich in calcium and vitamin D, regular physical activity, and maintaining a healthy weight can help mitigate some of the risks associated with menopause. For hot flashes and night sweats, dressing in layers, keeping the bedroom cool, and practicing relaxation techniques can provide relief.
opportunity to overcome symptoms and prevent the diseases.
Persons when first diagnosed with a mental illness frequently experience the same emotions as many in society––fear, avoidance, denial. However, knowledge is power. Learning about the illness, what occurs and how others have dealt with schizophrenia and other affective disorders shifts control and extinguishes fear. None of us need avoid mental illness, we need to learn what it means, how to recognize the illness, and how to seek help when necessary. Very few of us will be untouched by someone having emotional problems, perhaps a serious one. All of us need to know where to find help, and assist each other.
From page 56
benefits with a healthcare provider. Non-hormonal treatments, such as antidepressants or medications to prevent bone loss, may also be considered. Additionally, herbal supplements and alternative therapies, like acupuncture, have been used by some women to manage symptoms, though their effectiveness varies.
From page 57
• Decongestant nasal sprays may temporarily reduce nasal congestion but can cause even more severe congestion if used for more than 3-5 days or more often than recommended.
Cromolyn Sodium Nasal Spray: How it might help: Effective in some people for controlling symptoms of nasal allergies.
What to keep in mind:
• Works only if used before nasal symptoms appear.
• Won’t work during an active allergy attack
Corticosteroid Nasal Spray: How it might help:
• Highly effective treatment of nasal allergies.
• Used as the primary preventive treatment for patients with moderate to severe allergies.
What to keep in mind:
• May cause nasal dryness.
• As an oral medication, can be taken over the short term (3-7 days) for treatment of severe symptoms.
Hormone Replacement Therapy (HRT) is a medical treatment option that involves supplementing estrogen and progesterone to alleviate symptoms. However, HRT is not suitable for everyone and can have side effects. It’s essential to discuss the risks and
tion Bu-yang-huan-wu-tang has shown substantial improvement in refractory epilepsy cases, and open-label studies of Chinese herbal remedies like Qingyangsen and Zhenxianling indicate potential anticonvulsant effects with fewer side effects than standard antiepileptic drugs.
In addition to herbal remedies, acupuncture, another TCM practice, is utilized for epilepsy treatment. Case reports demonstrate the potential efficacy of acupuncture in epilepsy patients, and animal studies suggest
velop swelling of the feet. They may also experience frequent cold feet, which are considered a symbol of low blood circulation (in feet). Cold feet are more commonly experienced at night before sleep, after having certain foods or during periods of immobility.
Menopause is a natural part of aging, bringing both challenges and opportunities for women to focus on their health. Understanding the stages, symptoms, and management options can help women navigate this transition with greater ease and confidence. Regular check-ups and open communication with healthcare providers are crucial in managing menopausal health effectively.
From page 57
it may inhibit epileptic seizures and hippocampal cell death induced by kainic acid.
A Norwegian trial involving 29 patients with intractable epilepsy revealed a reduction in seizure frequency in both acupuncture and sham acupuncture groups, though statistical significance was not achieved. The combination of herbal medicine and acupuncture is often recommended for epilepsy treatment, with a typical duration of 3-6 months depending on the individual’s condition.
From page 48
Some may experience severe and sudden leg pain due to formation of a blood clot, which may stop or slow down the blood flow all of a sudden. This is caused by deep vein thrombosis, a condition wherein, a blood clot forms in the deep veins of the legs.
ACUPUNCTURE
Eastern Medical Holistic Healing Center – Angel Wood – 240-7555925 – www.Acupuncture4Wellness. Webs.com.
West Annapolis Acupuncture –Brittney de Vicq, LAc, MAc – 410375-9716 – BrittneyAcupuncture. com – Annapolis, MD.
CHINESE MEDICINE & ACUPUNCTURE
Quansheng Lu, CMD, PhD, LAc – www.WholelifeHerb.com – 301340-1066.
Kovach Chiropractic & Wellness Center – Alicia Kovach, DC – 410697-3566.
Effective Integrative Healthcare –Crofton 410-774-0644 – Millersville 410729-2200 – Lanham 301-577-6556.
DENTISTRY
Cosmetic Dental FX – Judy Yu, DMD, MBA – 410-360-0440 – www. DentalFXMD.com – Pasadena, MD.
Lighthouse Family Dentistry –E. Taylor Meiser, DDS – 410-224 4411 – Annapolis, MD.
Karl A. Smith, DDS – Waldorf, MD –301-638 -4867.
Craig A. Smith, DDS – 7201 Hanover Parkway, Suite A, Greenbelt, MD – 301-446-1784 – www.craigasmithdds.com.
DERMATOLOGY
Hema A. Sundaram, MD – Dermatology, Cosmetic & Laser Surgery – 11119 Rockville Pike, Suite #205, Rockville – 301-984-3376 – Also in Fairfax, VA.
EYE CARE
McNelly Optical, Inc. – 410-263-2692 – www.McNellyOptical.com – Annapolis, MD.
FERTILITY
Montgomery Women’s Fertility Center – 301-946-6962 – MontgomeryFertilityCenter.com – Rockville, MD.
HOME CARE
At Home Care, Inc. – 301-421-0200 – AtHomeCareInc.com – Since 1977.
HORMONES
New Day Vitality Hormone Center – 410-793-5212 – Arnold, MD and Easton, MD – NewDayVitality.com. HYPNOSIS
Toni’s Happy Hour Yoga and Holistic Wellness Center – 301-449-8664.
INTEGRATIVE MEDICINE
Alan Weiss, MD, Annapolis Integrative Medicine – 410-266-3613 – 1616 Forest Drive, Suite #3, Annapolis, MD 21403.
LAWYER
Alexander & Cleaver – 6710 Oxon Hill Road, Suite #330, Oxon Hill, MD 20745 – 301-292-3300 – alexandercleaver.com.
MEDICAL SPACE
Charles Feitel Company – 301-571-9333 – www.MedicalandDentalSpace.com.
MEDICARE
Perry L. Johnson – Local Medicare Specialist – 301-793-4571 pjohnson.perry@gmail.com.
MENTAL HEALTH SERVICES
Charles Co. Freedom Landing, Inc. –301-932-2737 or 301-870-3969.
House Calls, LLC – 301-346-6732 –CallingOnBeth@gmail.com – www. CallingOnBeth.net.
NEUROLOGY
Charles C. Reel, MD – Maryland Gait and Balance Disorder Center – Charlotte Hall, MD – 301-290-0395. PAIN MANAGEMENT
Georgetown Pain Management – Netsere Tesfayohannes, MD, ABA, ABAP – 301-718-1082 – 8120 Woodmont Ave., Ste 560, Bethesda, MD – 7300 Hanover Dr., Ste 204, Greenbelt, MD.
Newbridge Spine and Pain Center – 301-638-4400 – www.NewbridgeSpine.com.
PHYSICAL THERAPY/ REHABILITATION
Active Physical Therapy. Various Locations across Maryland and Washington, DC. Active-physicaltherapy. com.
PODIATRY
Bowie Foot Care – Howard Horowitz, DPM – 301-464-5900.
Largo Foot and Ankle Health Center – Ade Adetunji, DPM – 301 386 5453.
PRIMARY CARE
Loving Care – Janet Johnson, MD – Hyattsville, MD – 301-403-8808.
PROSTHETICS
Metro Prosthetics – 301-459-0999 –www.MetroProsthetics.com
RETIREMENT VILLAGE
Brooke Grove Retirement Village –18100 Slade School Road, Sandy Spring, MD 20860 – 301-260-2320 – www.bgf.org.
SENIOR CARE
Chevy Chase Home Care. Help at a time you need it most. Any Ages. Any situations. Any shifts. MD, DC, VA – www.CHCHHomeCare.com –202-374-1240.
St. Mary’s Nursing & Rehabilitation Center – 301-475-8000 – Leonardtown, MD – www.StMarysNursingCenter.com.
SPA (MEDICAL)
Luminox Healthcare Services – 240553-7970 – LuminoxHealth.com.
Millennium MediSpa – 301-652-9005 – www.AnythingCosmetic.com.
UROLOGY
AA Urology – IR Center, 600 Ridgely Avenue, Suite #120, Annapolis, MD 21401 – Annapolis , 600 Ridgely Avenue, Suites #222-223, Annapolis, MD 21401 – East Campus Surgery Center , 600 Ridgely Avenue, Suite #130, Annapolis, MD 21401
AA Urology – Odenton , 1106 Annapolis Road, Suite #250, Odenton, MD 21113 – Glen Burnie, 305 Hospital Drive, Suite #303, Glen Burnie, MD 21061 – Bowie, 4201 Northview Drive, Suite #201, Bowie, MD 20716 –West Campus Surgery Center, 7855 Walker Drive, Suite #102, Greenbelt, MD 20770 – Greenbelt, 7855 Walker Drive, Suite #100, Greenbelt, MD 20770.
Charlotte Hall Veterans Home – 301884-8171 – Waldorf, MD.
WEIGHT LOSS
The Bariatric and Hernia Institute –Dr. Etwar McBean – 240-206-8506 – www.TBHInstitute.com.
YOGA
Toni’s Happy Hour Yoga and Holistic Wellness Center – Toni Greene, Owner – 301-449-8664.










(12 issues)! SUBSCRIBING
1)
2) Simply mail this form along with your check for $24: Your Health Magazine 4201 Northview Dr. Suite 102 Bowie, MD • 20716
been chosen based on the feedback of hundreds of veterans and active service members who suffer from the aftereffects of combat or other trauma. MR programs report improvements in mood, impulse behavior, irritability, concentration, and sleep.
There are five parts to Mindful Resilience training:
• Breathing – Techniques that can help relieve anxiety and can be used anywhere and anytime.
• Meditation – Enhances focus and concentration, settles the mind, and promotes a sense of wellbeing.
• Mindful Movement – Postures that bring the body through its natural range of motion to enhance strength and flexibility and reinforce the connection between mind and body.
• Guided Rest – Guided exercises can lead to deep and profound relaxation.
• Gratitude – Simple practices that promote a positive outlook.
Equine Facilitated Therapy, used for personal development and learning can be used effectively for both adults and youth where they are offered social activities based on their horse experience. This type of
training provides positive results to improve cognitive functions including strategies for organized behavior and self-awareness with mindfulness skills as a recovery tool for individuals under enormous amounts of stress.
This therapy is also known to be beneficial in improving motor skills for those seeking treatment for cerebral palsy, Downs syndrome, autism, and sensory integration disorder. When this type of therapy is offered, we partner with equine and physical therapist.
Therapeutic Horticulture, uses plants and outdoor environments to achieve the mindfulness health goals. The American Horticulture Therapy Association (AHTA) defines therapeutic horticulture as “the process through which participants enhance their well-being through active or passive involvement in plant-related activities. Nonetheless, there have been breakthroughs reported for eating disorders, PTSD, depression, anxiety, developmental disabilities, dementia, brain injury, cancer, and physical disabilities.
And lastly rest, walking and water, will never steer you wrong. So let’s relax and let it go.
improve emotional balance, and alleviate physical discomfort, providing a holistic approach to mental and physical health. Used alongside traditional medicine, they enhance healing on all levels.
Intuitive Guidance: Finding Clarity for Personal Growth
Intuitive readings can provide valuable insights into your life’s path, helping you navigate challenges and align with your true purpose. By offering clarity on personal growth and decision-making, intuitive guidance empowers you to make informed choices and embrace positive chang-
are all systemic swelling conditions. Lymphedema occurs only in specific regions of the body, setting it apart from other types of edema.
If you or a loved one has been diagnosed with Lymphedema, it can be managed with Complete Decongestive Therapy (CDT) by a Certified Lymphedema Therapist (CLT). CDT is the main treatment for lymphedema and is considered the “gold standard” of treatment. CDT consists of an initial reductive phase (Phase I) followed by a maintenance phase (Phase II).


From page 46
es. It supports emotional and spiritual health, helping you navigate life’s complexities with confidence.
When combined, energy quantum healing, holistic therapies, and intuitive guidance offer a powerful approach to health and wellness. These methods complement conventional care by addressing both physical and emotional aspects of your wellbeing. Together, they create a comprehensive strategy for lasting health, vitality, and balance.
Components of CDT include:
• Manual lymph drainage (MLD)
• Multi-layer, short-stretch compression bandaging
• Lymphatic exercise
• Skin care and education in lymphedema self-management
• Elastic compression garments. Make sure to talk to your medical team if you have been diagnosed with Lymphedema and obtain a referral for evaluation and treatment by a CLT in your local area.
need for surgery, patients can minimize the risks associated with invasive procedures, such as infection, bleeding, and prolonged recovery times. ESIs can also serve as a valuable alternative for patients who may not be suitable candidates for surgery due to underlying health conditions or other factors.
The efficacy of ESIs in treating lumbar radiculopathy has been supported by numerous clinical studies and meta-analyses. Research has demonstrated significant reductions in pain scores, improvements in functional outcomes, and enhanced quality of life for patients receiving epidural steroid injections. Furthermore, when combined with other conservative therapies such as physical therapy and oral medications, ESIs can contribute to a comprehensive treatment approach that addresses both the symptoms and underlying causes of lumbar radiculopathy.
However, it’s essential to recognize that ESIs are not a one-size-fitsall solution, and outcomes can vary depending on individual patient factors and the underlying cause of the radiculopathy. Additionally, while ESIs are generally safe, they do carry some potential risks, including infection, nerve damage, and temporary increases in blood sugar levels in patients with diabetes.
In conclusion, epidural steroid injections represent a valuable therapeutic option for the management of lumbar radiculopathy, offering effective pain relief and improved functional outcomes for many patients. As with any medical intervention, it’s crucial for patients to discuss the risks and benefits with their healthcare provider and explore all available treatment options to determine the most appropriate course of action for their individual needs.
adults aged 50 or older (about 22 million people) have not been screened as recommended.
HRT is safe for almost all women according to the latest medical research (Mayo Clinic: The Menopause Solution, 2018) and does not increase all-cause mortality (Journal of the American Medical Association, Sept. 12, 2018). Talk to your doctor or a hormone specialist about the benefit/risk value of hormone replacement therapy today.


resources functions such as recruiting, payroll, and compliance can relieve practices of significant administrative burdens while attracting top talent.
Provider credentialing and enrollment also benefit from outsourcing. These processes, critical for maintaining compliance and securing timely reimbursements, can be time-consuming and error-prone when managed internally. External partners specializing in credentialing can accelerate these tasks, ensuring that practitioners remain compliant and revenue streams stay uninterrupted.
ing: HBOT enhances blood flow and oxygenation to tissues, making it particularly beneficial for individuals recovering from surgery, injuries, or chronic wounds.
Neurological Support: Emerging research suggests that HBOT may aid in cognitive function and neuroprotection. It is commonly explored for its role in managing symptoms of traumatic brain injury (TBI), stroke recovery, and neurodegenerative conditions.
Inflammation Reduction: Many chronic conditions are linked to systemic inflammation. HBOT helps reduce swelling and oxidative stress, making it a useful adjunct therapy for conditions such as arthritis, autoimmune diseases, and chronic pain.
Immune System Boost: By increasing oxygen availability, HBOT helps the body fight infections more effectively. This is particularly relevant for individuals with weakened immune
Register of Wills in the county where the decedent lived at the time of their death. The Register of Wills is the clerk to the Orphans’ Court (probate court) in their respective county. The Register of Wills is responsible for probating the decedent’s Will, appointing a personal representative to manage the estate, and overseeing the distribution of assets outlined in the decedent’s Will if they had one, or state law if there is no Will. Ultimately, any use of estate assets, including distributions of estate assets, must be approved by the Orphans’ Court.
If a person dies without a Will (intestate), the estate will be distributed according to Maryland’s intestacy laws, which determine the rightful heirs based on their relationship to the decedent. The General Assem -
Real-world examples underscore the benefits of outsourcing. A small practice in Georgia, for instance, saw a 20% reduction in claim denials and a 30% faster payment cycle after outsourcing its billing functions. Such improvements highlight the potential of outsourcing to boost efficiency, enhance patient care, and ultimately support the long-term success of a medical practice.
In today’s competitive healthcare landscape, outsourcing is not just a cost-saving measure—it is a strategic move toward more efficient and patient-focused care.
systems or those recovering from bacterial infections.
Sports Recovery and Anti-Aging: HBOT has gained traction in the athletic community for its ability to speed up muscle repair, decrease fatigue, and enhance performance. Additionally, it is being used in longevity and anti-aging protocols due to its effects on cellular health.
An Accessible and Effective Therapy
HBOT is a safe and effective therapy that integrates well with other holistic health approaches. With advancements in chamber technology, individuals now have access to high-quality options that provide enhanced comfort, precise pressure control, and optimized oxygen delivery. Whether used for recovery, wellness, or performance, HBOT continues to be a valuable tool in integrative medicine, supporting the body’s innate ability to heal.
From page 58
bly recently amended these laws to make inheritances more favorable for surviving spouses. Furthermore, on October 1, 2023, a new law came into effect permitting qualifying domestic partners to file the necessary paperwork to become registered domestic partners, which entitles a surviving domestic partner to the same benefits as a surviving spouse under intestacy laws.
The estate administration process in Maryland can be complex and time-consuming, especially if there are disputes among legatee/heirs or creditors. It is highly recommended to seek the assistance of an experienced estate administration attorney to address the legal requirements and guarantee that the decedent’s wishes are conducted legally in a timely and efficient manner.

