Special Issue - Dr. Narayanan Nair

Page 1


DR. NARAYANAN M. NAIR: A BOARD-CERTIFIED PLASTIC SURGEON REDEFINING HOPE AND HEALING

PG 34

FROM MAINE’S SHORES TO TABLES NATIONWIDE: MARK MURRELL’S UNWAVERING PURSUIT OF THE PERFECT LOBSTER EXPERIENCE

PG 22

Dr. Narayanan M. Nair, MD, FACS, FAAP, is a boardcertified plastic surgeon who brings hope to patients facing some of the most complex challenges in aesthetic and reconstructive care. Known for his compassionate approach and expertise in removing illicit silicone, he is dedicated to restoring confidence and transforming lives when others have said nothing could be done. With every patient, Dr. Nair combines skill, honesty, and empathy to create lasting results and renewed hope.

Publisher: John Highland

Editor In Chief: Hannah H.

Editorial Assistant: Jillian Fast

Graphic Designers: Laura Poyner, Dylan R-N

Contributing Authors: Evelyn Flaharty, Riley George, Juila

Smila, Joshua Wheeler

PUBLICATION TEAM EXECUTIVE TEAM

Vice President of Development: Mark Carvalho

Business Director: Rob Fletcher

Fractional Marketing Officer: Craig Handley

Advisory Board: Dr. Ken Davis

CONTRIBUTORS MAGAZINE

A LETTER FROM THE EDITOR

Our mission and purpose at TopDoctor Magazine is to foster connections within the health and wellness community and empower our readers to make wellinformed healthcare and lifestyle decisions. We pride ourselves on being the ultimate resource for interviews with health and wellness leaders, trending medical news, and healthy living topics.

We understand that choosing a healthcare provider is a crucial decision. Our in-depth interviews with esteemed doctors and medical professionals aim to bridge the gap between them and their clients. By providing our readers with personal insights, philosophies, and areas of expertise, we facilitate a deeper understanding of the individuals responsible for your health and well- being. We also strive to highlight our outstanding practitioners, showcasing their dedication to their patients and contributions to the medical community.

The field of medicine is constantly evolving, with new practices, therapies, and technologies emerging at a rapid pace. At TopDoctor Magazine, we strive to keep you updated on the latest advancements in the medical world. Our comprehensive coverage of trending medical news equips both doctors and patients with the knowledge they need to make informed choices about healthcare options.

Building strong connections within the medical community is essential for enhancing patient care and driving medical progress. Our magazine serves as a bridge, connecting medical companies with doctors and vice versa. By facilitating these connections, we aim to catalyze collaborations that can lead to innovative solutions and improved healthcare outcomes for everyone.

It is our firm belief that well-informed individuals make better decisions about their health. By providing you with insights into established and emerging medical trends and technologies, we empower you to take an active role in your healthcare choices. Whether you are a healthcare professional seeking to stay updated on the latest advancements or a patient eager to make informed decisions about your well-being, TopDoctor Magazine is here to support you.

In every issue, we strive to uphold the highest standards of journalistic integrity, accuracy, and relevance. Our dedicated team of writers, editors, and medical experts work tirelessly to bring you well-researched and compelling content that is both educational and engaging. Moreover, our graphic design team is committed to delivering an aesthetically pleasing reading experience where captivating design seamlessly merges with informative content, ensuring each issue becomes an engaging journey of discovery.

As we embark on this mission to serve as your trusted source of medical information and insights, we encourage you to join us on this exciting journey. Your feedback and suggestions are invaluable to us, and we look forward to hearing from you.

Thank you for being a part of the TopDoctor Magazine community. Together, let us embrace knowledge, forge connections, and make informed decisions to lead healthier lives.

With warmest regards, Hannah

TABLE OF CONTENTS

10 22 34 48 54

THYROID CANCER AWARENESS

MONTH: WHAT YOU NEED TO KNOW

FROM MAINE’S SHORES TO TABLES

NATIONWIDE: MARK MURRELL’S

UNWAVERING PURSUIT OF THE PERFECT LOBSTER EXPERIENCE

DR. NARAYANAN M. NAIR: A BOARDCERTIFIED PLASTIC SURGEON REDEFINING HOPE AND HEALING

ELECTROLYTES IN YOUR DAILY WHOLE FOODS

WHERE SPIRIT LEADS AND SCIENCE ELEVATES: THE ULTIMATE WELLNESS™ CONFERENCE RETURNS TO THE ICONIC FAENA FORUM IN MIAMI BEACH ON SEPTEMBER 2628, 2025

At-home health tests

Total Cholesterol Self-test. Know your cholesterol levels in 2 minutes.

FSH Self-test. Provides insights into perimenopause or menopause in 3 minutes.

Fecal Occult Blood

FIT Self-test. Detects human occult blood in feces to aid in the diagnosis of colorectal cancer in 5 minutes.

Thyroid cancer is a topic that doesn’t always get as much attention as other types of cancer, yet it is one of the most rapidly increasing cancers diagnosed today. For many people, the thyroid is a mysterious part of the body they don’t think about until something goes wrong. However, this small, butterfly-shaped gland in the neck plays a crucial role in maintaining our health. It regulates our metabolism, energy levels, heart rate, and even body temperature. When thyroid cells begin to grow abnormally and form a tumor, the result is thyroid cancer.

As a thyroid cancer survivor, raising awareness about thyroid cancer is particularly important to me. I feel compelled to help others understand what thyroid cancer is, how to recognize the signs and symptoms, and what options exist for treatment. It is important for people to understand that early detection can save lives. I am living proof of this fact.

UNDERSTANDING THE THYROID AND ITS ROLE

The thyroid is a small gland located at the front of your neck, right below the Adam’s apple. Shaped like a butterfly, it sits against the windpipe and produces hormones that help regulate many functions in your body. Think of it as a “control center” for your metabolism, the process by which your body turns food into energy. Another way to think about it is to think of your thyroid like the engine in your car. When your thyroid is working properly, you probably don’t even notice it. However, when something goes wrong, it can impact your entire body, from your energy levels to your mood, weight, and overall wellbeing.

Thyroid cancer happens when cells inside the thyroid gland start growing uncontrollably. Normally, your body’s cells grow, divide, and then die off when they’re supposed to. But in cancer, cells don’t die when they should. Instead, they keep multiplying and can form a lump or mass called a tumor. Not all thyroid lumps are cancerous; in fact, many are benign (noncancerous) nodules. However, some can be malignant, meaning they have the potential to spread to other parts of the body.

HOW COMMON IS THYROID CANCER?

You may be surprised to learn that thyroid cancer is more common than people think. In the United States, it is the most common cancer of the endocrine system. While it still makes up a relatively small percentage of all cancers overall, the number of thyroid cancer cases has been steadily rising over the past few decades.

The American Cancer Society estimates that tens of thousands of new cases are diagnosed each year in the U.S. alone, with women being about three times more likely than men to develop it. It often affects people in their 30s, 40s, and 50s, though it can occur at any age. Thyroid cancer is also one of the

few cancers where younger people, especially women under 55, are more likely to be diagnosed. This is the category under which I fall.

The good news is that most people diagnosed with thyroid cancer have excellent survival rates. In fact, thyroid cancer has one of the highest longterm survival rates among all cancers, particularly when caught early and treated appropriately. This makes awareness all the more important; knowing what to look for and when to see a doctor can make all the difference.

SIGNS AND SYMPTOMS OF THYROID CANCER

One of the tricky things about thyroid cancer is that it often doesn’t cause noticeable symptoms in its early stages. Many people, including myself, discover they have thyroid cancer during a routine physical or an imaging test for another issue. However, there are certain signs and symptoms to be aware of.

The most common sign is a lump in the front of the neck. Sometimes you can feel this lump when touching your neck, or even see it in the mirror when swallowing. Not all lumps are cancerous, but it’s essential to have a healthcare provider examine them.

Other possible symptoms include:

w CHANGES IN THE VOICE - such as hoarseness or a voice that sounds different than usual

w DIFFICULTY SWALLOWING - feeling like food is getting stuck in your throat

w NECK OR THROAT PAIN - discomfort that may spread up to the ears

w SWOLLEN LYMPH NODES - especially in the lower part of the neck

w PERSISTENT COUGH - that isn’t linked to a cold or allergies

It’s important to note that having one or more of these symptoms doesn’t automatically mean you have thyroid cancer. Many other conditions can cause similar signs. But if you notice a lump in your neck or any of these ongoing changes, it’s best to get it checked by a healthcare professional. Early detection is key.

RISK FACTORS FOR THYROID CANCER

While anyone can develop thyroid cancer, some factors may increase your risk. Being aware of these doesn’t mean you’ll definitely get it, but it helps you stay mindful of your health.

w GENDER AND AGE - Women are more likely to develop thyroid cancer than men, especially before age 55.

w FAMILY HISTORY - Having close relatives with thyroid cancer or certain genetic conditions can raise your risk.

w RADIATION EXPOSURE - Previous radiation treatments to the head, neck, or chest, particularly during childhood, can increase risk later in life. Next time you visit your dentist for X-rays, ask the hygienist to provide you with a thyroid shield. The shield protects your thyroid from exposure to the X-rays. Unfortunately, I learned about the shield after I had my thyroid removed.

w IODINE LEVELS - Excessive or insufficient iodine in the diet may play a role, as the thyroid gland uses iodine to produce hormones. In my particular case, it turns out I am allergic to high levels of iodine. As such, I am unable to consume shrimp, take certain antibiotics, or undergo a CT Scan with Iodine Contrast.

w OTHER THYROID CONDITIONS - People with goiter (enlarged thyroid) or certain thyroid disorders may have a slightly higher chance.

It’s worth noting that many people who develop thyroid cancer don’t have any obvious risk factors. That’s why awareness and regular checkups are so important. I am grateful that I have always been diligent about getting an annual physical. Had that not been the case, who knows how long the cancer would have remained undetected, as I had no physical symptoms letting me know something was wrong. When my doctor examined the lymph nodes in my throat, he was concerned and recommended that I undergo further testing. This additional testing revealed I had cancerous tumors within my thyroid. The only option was to have my thyroid and nearby lymph nodes completely removed to prevent the cancer from further spreading.

TYPES OF THYROID CANCER

Not all thyroid cancers are the same. There are different types, and they vary in terms of their aggressiveness and treatment.

w PAPILLARY THYROID CANCER - This is the most common type, making up about 80% of cases. It usually grows slowly and often spreads to nearby lymph nodes, but it is highly treatable. This is the cancer I was diagnosed with. There was no way of knowing how long my tumor had been growing.

w FOLLICULAR THYROID CANCER - The second most common type, which also tends to grow slowly. It can sometimes spread to other parts of the body, such as the lungs or bones.

w MEDULLARY THYROID CANCER - Less common, but it can sometimes run in families. Genetic testing is often recommended if this type is diagnosed.

w ANAPLASTIC THYROID CANCER - A very rare but aggressive form of thyroid cancer that is harder to treat.

Knowing the type of thyroid cancer helps doctors decide the best treatment plan.

DIAGNOSIS: HOW IS THYROID CANCER FOUND?

If a doctor suspects thyroid cancer, they may start with a physical exam to check for lumps or swelling in the neck. They may also use imaging tests, such as an ultrasound, which can help determine if a lump appears suspicious. Blood tests to check thyroid hormone levels may be ordered, but thyroid cancer doesn’t always affect hormone production.

One of the most common ways to diagnose thyroid cancer is through a fine-needle aspiration biopsy, where a tiny needle is used to remove a small sample of cells from the thyroid nodule. These cells are then examined under a microscope to determine if cancer is present.

TREATMENT OPTIONS FOR THYROID CANCER

Hearing the words “you have cancer” is always overwhelming. Those words rocked me to my core. Treatment options depend on the type and stage of the cancer, as well as the patient’s overall health.

w SURGERY - This is the most common treatment. The surgeon may remove part of the thyroid (lobectomy) or the entire thyroid (thyroidectomy). If the whole thyroid is removed, patients will need to take thyroid hormone replacement pills for life.

w RADIOACTIVE IODINE THERAPY

- This treatment uses a special form of iodine to destroy any remaining thyroid tissue or cancer cells after surgery. Because the thyroid naturally absorbs iodine, this therapy is very targeted.

w EXTERNAL RADIATION THERAPY - Rarely used for thyroid cancer, but it may be considered if the cancer has spread or cannot be removed with surgery.

w CHEMOTHERAPY - Not commonly used for most thyroid cancers, but may be an option in certain aggressive cases.

w TARGETED THERAPY AND IMMUNOTHERAPY - Newer treatments that are used for advanced cases or when traditional treatments don’t work. These drugs specifically attack cancer cells while sparing much of the healthy tissue.

LIFE AFTER THYROID CANCER

For many people, the journey doesn’t end after treatment. Life after thyroid cancer may include regular checkups, blood tests, and scans to make sure the cancer hasn’t returned. If the thyroid has been removed, daily thyroid hormone replacement becomes part of life. These medications help regulate metabolism and keep the body running smoothly.

It’s natural to feel a mix of relief and worry after treatment. Many survivors deal with anxiety about recurrence or ongoing fatigue. Support groups, counseling, and staying connected with healthcare providers can make the adjustment easier. The important thing to remember is that thyroid cancer is often highly manageable, and many people recover fully and return to their normal lives.

RAISING AWARENESS AND TAKING ACTION

Awareness matters because thyroid cancer is often silent in its early stages. Simple actions can make a significant difference, such as checking your neck in the mirror for lumps or consulting a doctor if you notice any changes. Public awareness campaigns encourage people not to ignore subtle symptoms.

Thyroid cancer awareness also helps break down fear. While hearing the word “cancer” is always frightening, understanding that thyroid cancer is often treatable and even curable provides hope. Awareness also supports fundraising for research, better treatments, and patient resources.

FINAL THOUGHTS

Thyroid cancer may not be the most talked-about cancer, but it is one that is rising in numbers and deserves our attention. By learning about it, recognizing the signs to watch for, and understanding the available treatment options, we can all take steps to protect our health and support others who may be facing this diagnosis.

While it’s too late for me, I feel it is my responsibility to raise awareness about thyroid cancer. Getting an annual physical regularly was how I was diagnosed. My diagnosis was a blessing, allowing me to obtain immediate medical intervention and prevent the further spread of cancer. The diagnosis became the catalyst that led me to embrace fitness as a way of reclaiming my health and vitality.

The thyroid is small, but its impact on the body is enormous. Likewise, awareness may seem like a small step, but it has the power to save lives. If you ever notice changes in your neck, voice, or swallowing, or simply have a gut feeling that something isn’t right, don’t ignore it. Early detection and treatment give the best chance for a healthy outcome.

Thyroid cancer awareness is about more than just facts and statistics; it’s about reminding ourselves that health is worth protecting, that our bodies give us signals we should heed, and that knowledge is one of the most powerful tools we possess.

Hey there,

We’re Strive Compounding Pharmacy.

And we’re striving for the personal side of healthcare. You know, Personal Pharma over Big Pharma. People over profits. Well care over sick care. Baseline shifting pharmaceuticals over symptom-covering ones.

We help thousands of healthcare providers just like you write tailored prescriptions so your patients can become the healthiest version of themselves.

Whether you have experience prescribing compounds or not, we make it easy to get started, get confident, and get support.

By joining our network of providers, you’re making medicine more personal—exactly how it should be.

It’s time to Strive Forward, together.

COFFEE THAT HEALS COFFEE THAT HEALS

1,500 PARTICIPANTS: HEALTH & WELLNESS EN

35+ TOP SPEAKERS: INTEGRATIVE MEDICINE D

35+ EXHIBITORS: LONGEVITY TECH & ECO-PRO

15+ EXPERIENCES: HEALING & SPIRITUAL PRA

From Maine’s Shores to Tables Nationwide Mark Murrell’s Unwavering Pursuit of the Perfect Lobster Experience

Mark Murrell, who grew up in Maine and now proudly calls it home, has revolutionized how people across the United States experience fresh, high-quality lobster. What began as a curious observation during his marketing consulting days in Chicago has blossomed into Get Maine Lobster, a company synonymous with exceptional seafood and an unparalleled commitment to customer satisfaction. His journey is a vibrant tapestry woven with entrepreneurial spirit, a deep understanding of quality, and a genuine desire to connect people through memorable culinary moments.

The Spark: A Mainer’s Revelation in the Midwest

Growing up in Maine, lobster was a familiar “celebratory food” for Murrell, its prevalence making it almost commonplace. It wasn’t until he ventured to Chicago as a marketing consultant, immersed in a diverse client portfolio, that the true value and scarcity of fresh, authentic Get Maine Lobster outside its native waters truly struck him.

“When I was in Chicago, people were always asking me about lobster,” Murrell recalled. “Then I would see lobsters in a grocery store tank, and I

couldn’t help thinking that the tanks didn’t look clean.”

This stark contrast between the pristine, readily available lobster of his home state and the often questionable, overpriced options elsewhere ignited a pivotal question: “How fresh is that lobster that I’m paying a tremendous amount for?”

The catalyst for Get Maine Lobster arrived in 2009 during a visit home. A friend who was a local fish shop owner approached Murrell with an idea to sell lobsters online. Murrell’s subsequent research confirmed a burgeoning demand for direct lobster delivery, coupled with a notable lack of companies effectively meeting this demand. He saw a clear opportunity.

However, Murrell’s business acumen, honed by years in consulting, immediately identified a crucial gap: customer service.

He emphasized to his friend, “When you ship lobster to Donna in Des Moines, Iowa, and she opens a box of live lobsters and needs help, you’d better have someone ready to answer the phone when she calls.”

When his friend demurred, Murrell stepped forward.

“I’m not afraid of figuring out the messy details that keep a business running, succeeding, and leaving customers satisfied. I’ve always enjoyed that part of the business,” he stated, offering to launch the company himself while his friend handled fulfillment. This foundational commitment to the customer would become the bedrock of Get Maine Lobster.

From Apartment Startup to Industry Leader: A Journey of Growth

Initially operating out of his Chicago apartment, Murrell’s nascent lobster delivery service quickly outgrew its initial fulfillment partner within a mere eight months. This rapid expansion continued, necessitating a series of new partnerships as the business scaled. Ultimately, the undeniable success of Get Maine Lobster prompted Murrell to make a significant life change: he moved back to his beloved home state.

Murrell humbly described his entry into the lobster business as a fortunate stumble into an unexpected yet deeply rewarding career. He views his entrepreneurial endeavor as a natural evolution of his consulting days—identifying a widespread problem (the quest for truly fresh lobster) and devising an effective solution. His diverse educational background, encompassing degrees in hospitality, creative writing, and an MBA in sustainable business, provides a unique blend of skills that underpins his holistic approach to the business.

“I love the customer service side of things,” he reiterated, underscoring the core value that sets Get Maine Lobster apart. “Anyone can sell lobster, but not everyone can make customers feel seen and taken care of. It’s about being there when they call, answering their questions, and making sure they feel confident every step of the way.”

The Art of Freshness: Obsessing Over Every Detail

At the heart of Get Maine Lobster’s success is Murrell’s unwavering, almost obsessive commitment to delivering the freshest, highest-quality product. This dedication manifested in a meticulous, multi-layered approach to quality control.

“The first thing I did was find the right partner,” he explained. “They needed to have high standards for sourcing, handling, and a thorough quality assurance process.”

Murrell applied lessons learned from a previous client who supplied filet mignon to airlines, where consistency was paramount. This principle of uniformity extended to his lobster products. When inspecting orders, Murrell ensured that, for instance, if a customer ordered four lobster tails, they were equal in size, and all the fins were intact. He stressed that “what it looks like is just as important as anything else.”

For live lobsters, sourcing was critical. Get Maine Lobster procured from the “northern part of the state, where the waters are incredibly clean,” collaborating with fishermen who would venture into deep, ice-cold water. This process ensured the lobsters were livelier and better prepared for their journey across the country. Get Maine Lobster sources lobster tails from processors who use liquid nitrogen freezing, a cutting-edge technique that rapidly freezes lobster at its peak freshness while preserving its flavor, texture, and moisture. This method creates tiny ice crystals that protect the lobster’s cellular structure, ensuring it tastes and feels like it was just caught when it reaches your table.

He steadfastly avoids processes like High-Pressure Processing (HPP), which he believes compromises the delicacy and quality of the meat. This unwavering commitment to quality at every stage, combined with a philosophy of “being generous with your knowledge” and fostering cooperative relationships with industry peers, has allowed Get Maine Lobster to partner with the best processors in the world.

The Luxury of Lobster: Catering to Discerning Tastes

Get Maine Lobster serves a broad customer base, but Murrell has observed a striking trend: medical professionals are among his most frequent and loyal clients.

“Half of our top fifteen customers of all-time are medical professionals,” he revealed.

Murrell theorized that busy doctors, who often have demanding careers and substantial incomes, tend to seek both convenience and a welldeserved reward.

“Medical professionals work hard and often don’t have time to run to the store to find high-quality food,” he mused. “I can picture them thinking, ‘I want the good stuff. I want it on the weekend, I don’t feel like going out, and I don’t care what it costs.’”

This demographic values the ease of having premium, restaurant-quality seafood delivered directly to their doorstep. Beyond convenience, Murrell highlighted lobster’s favorable nutritional profile.

“It offers great macros compared to other animal proteins,” he said. “It’s low in calories, low in fat, and high in protein.” For professionals seeking healthy yet indulgent options, it’s an ideal choice. Lawyers and “blue-collar business owners” also feature prominently in his customer base. These individuals often use Get Maine Lobster for entertaining guests, serving as a symbol of their success and generosity.

While lobster tails, lobster rolls, and live lobsters are the mainstays, Murrell prides himself on fulfilling unique customer requests, with products like whole squid, demonstrating his dedication to bespoke service.

The Miracle, The Future, and The Human Connection

Murrell spoke with profound respect for the lobster’s journey, describing its arrival on a plate as a “miracle.” He pointed to the astonishing odds against a lobster surviving to legal weight—a mere 0.4% of eggs— and the many years it takes for larger specimens to mature. This deep appreciation for the rarity of the product has even led him to conceptualize a “rarity chart” for lobsters, akin to diamond grading, to help customers truly grasp the unique value of their purchase.

“You’re lucky even to have the chance to buy this lobster,” Murrell said, emphasizing how special each catch is. “The odds of a lobster surviving

long enough to reach legal catching size are incredibly low, which makes every one of them something rare.”

Looking ahead, Murrell envisions Get Maine Lobster continuing to innovate, particularly in creating more accessible and elegant at-home dining experiences he terms “modern Sunday supper.” He’s developing “ready to sous vide” product lines, featuring pre-cooked, cleaned, and picked whole lobsters with compound butter, designed for effortless preparation.

“I’m never gonna sell cheap lobster. What I can do is show you massive value by working hard to make it so that you can enjoy that experience at home, impress your guests, and create lasting memories,” he declared.

He aims to forge partnerships with chefs and embrace “food tech” to continually innovate, all with the overarching goal of fostering connections.

“I want people to gather more and make lasting relationships around good, quality food,” he stated, viewing amazing food experiences as a powerful catalyst for this.

Mark Murrell’s deep dedication to customer experience and providing truly exceptional lobster has driven Get Maine Lobster’s success, even through demanding periods like the 600 percent growth the company experienced during the COVID-19 pandemic. Every order reflects Murrell’s commitment to delivering the freshest, highest-quality lobster while ensuring customers feel supported every step of the way.

Notably, Get Maine Lobster operates from Maine’s first commercial wharf, built in the 1700s, grounding its mission in the state’s rich maritime heritage. This connection to Maine’s working waterfront is more than a backdrop; it is a promise that every lobster you receive is part of a tradition of quality and care.

If you are ready to experience premium Maine lobster delivered directly to your door and create unforgettable moments around your own table, visit Get Maine Lobster to learn more and place your order.

Make Your Dinner Unforgettable. Get wild-caught Maine lobster tails—hand-harvested, flash-frozen, and shipped straight to your door.

Claim 2 FREE tails with your first order: GetMaineLobster.com/topdoc

DR. NARAYANAN M. NAIR

A BOARD-CERTIFIED PLASTIC SURGEON REDEFINING HOPE AND HEALING

Dr. Narayanan M. Nair, MD, FACS, FAAP, is not your typical plastic surgeon. With a distinguished educational background from Penn State and the Cleveland Clinic, and a thriving practice in Florida, Dr. Nair has carved a unique niche by tackling complex cases that many others shy away from. His unwavering dedication to patient education, ethical practice, and pioneering work in illicit silicone removal is what sets him apart in the ever-evolving field of aesthetic and reconstructive surgery.

A JOURNEY FORGED IN EDUCATION AND PERSONAL CHALLENGE

Raised in Buffalo, New York, Dr. Nair’s path to medicine was clear from a young age.

“I never wanted to do anything else,” he said. As a kid, he was captivated by pediatric surgery after watching PBS’s NOVA specials. “I remember watching those specials and thinking, That’s definitely what I want to do,” he recalled.

His academic journey began at Penn State, where he enrolled in a rigorous six-year medical program.

“I did two years of undergrad and four years of med school, that’s why I chose Penn State. It ended up being a great experience. I loved it then, and I still do,” he shared.

He then honed his skills at the prestigious Cleveland Clinic, known for its exceptional reputation, strong research focus, and excellent foundation in medical practice.

A family emergency changed the course of Dr. Nair’s life, prompting his move to Florida. After building a successful private practice in Beverly Hills, he decided to temporarily close it when his father suffered a major heart attack and needed open-heart surgery.

“I basically shut down my practice,” he recalled. “I started cold calling clinics in Florida, just trying to find any work to cover the bills.”

That chapter of upheaval ultimately brought him back to Miami, a city that had always felt like a second home during college and residency visits with his parents. Thankfully, his father, now

82, recovered well, despite a surgery filled with what Dr. Nair described as “every complication under the sun.”

FROM PEDIATRIC ASPIRATIONS TO COMPLEX RECONSTRUCTIVE CARE

Dr. Nair was initially drawn to plastic surgery because of its broad scope. He liked that it allowed him to operate from head to toe, on nearly any part of the body. However, his true passion lay in pediatric plastic surgery, particularly in correcting congenital conditions like cleft palates and craniofacial anomalies.

“I initially wanted to work with kids. That was kind of my passion,” he affirmed.

However, the reality of the highly competitive field and limited opportunities led him to pivot.

“It’s a really packed field,” he explained. “There could be fifty surgeons competing for ten jobs. It just makes it really hard to find work, or even make a living.”

This shift ultimately guided him to his current specialization, where he excels in complex reconstructive cases, often repairing the damage caused by underqualified providers. It’s a niche he’s made his own.

He has recently published his technique on advanced buttock reconstruction, detailing his utilization of tissue from the buttocks and legs.

A NEW PRACTICE AND A COMMITMENT TO PATIENT CONTROL

After spending three years with another group in Florida, Dr. Nair recently took a leap he’d long envisioned: opening his own clinic.

“It came from a need to really be in control over patient care and outcomes,” he explained. “I wanted to make sure everything was done exactly right, from surgery to recovery.”

Having his own practice allows him to meticulously manage every aspect of the patient experience for optimal results, especially the crucial postoperative care. Just a year in, his state-of-the-art clinic

is already earning an impressive reputation, thanks to both its advanced equipment and his hands-on approach.

THE ART OF COMPLEX CASES: ILLICIT SILICONE REMOVAL

When asked about his preferred procedures, Dr. Nair’s answer was clear: “I like complicated cases, the ones other surgeons have turned down,” he said. “I don’t have a favorite or a least favorite. I just like the hard ones. Maybe it’s because they push me to flex my surgical muscle.”

One area where his expertise stands out is illicit silicone removal, a highly specialized and often risky procedure that now makes up 40–50% of his practice. He performs these surgeries, treating complications from unregulated injections, in areas ranging from the buttocks and vaginal region to the eyes, cheeks, and forehead.

According to Dr. Nair, the only truly effective way to remove silicone is through surgical excision, despite what many nonsurgical treatments falsely promise.

“Unfortunately, the best way is to open the skin and take it out,” he explained. “There’s no shortcut. Lasers and other non-surgical solutions often lead to worse complications.”

Many of his patients come to him after years of being dismissed, told nothing could be done, or denied insurance coverage.

“A lot of them feel completely helpless,” he said. “And then they find me, and I am able to finally give them some hope and fix something they thought was unfixable. That’s what makes this work so rewarding.”

BEYOND SILICONE: FACIAL REJUVENATION AND ETHICAL PRACTICE

Beyond silicone removal, Dr. Nair performs a wide range of facial aesthetic procedures, including facelifts, rhinoplasties, and injectables like Botox. Rhinoplasty, he shared, is his favorite aesthetic procedure, outside of facelifts, due to its intricate nature.

Facelift surgery, Dr. Nair explained, requires precision and experience. “It’s a very unforgiving surgery. You really have to

know what you’re doing and do it well.”

He also observed a growing trend of patients getting facelifts at younger ages. “They want to spend their fifties and sixties looking forty or fifty,” he noted.

Regardless of age, he emphasized that good skincare is essential. It’s the foundation, he said, “like the foundation of a house,” for any aesthetic work to be successful.

Dr. Nair’s approach to his patients is built on transparency and integrity. He is a strong advocate for patient education, both on social media and in person, thoroughly discussing risks and complications.

He is unapologetically direct with his patients, especially when it comes to discussing risks. “I’m very upfront. I’ll walk you through every possible risk and complication,” he emphasized. “The last thing I want is for a patient to come back after surgery and say, ‘Dr. Nair, you never really discussed this with me.’”

Dr. Nair takes pride in approaching each case with the same care he’d give his own loved ones. “I’m not going to do anything I wouldn’t do for my own family,” he said.

That same mindset drives his commitment to correcting other surgeons’ complications; a responsibility he sees as part of a professional code among board-certified plastic surgeons.

THE EVOLVING LANDSCAPE OF MEDICINE AND TECHNOLOGY

Dr. Nair acknowledged the profound shifts in the medical landscape.

“Medicine is a very different space than it was twenty years ago,” he observed.

He points to the rise of “patient-driven medicine,” which, while having positive aspects, also presents challenges. Patients often arrive with superficial understandings of their conditions or desired aesthetic outcomes, influenced by technology and readily available, yet sometimes misleading, information.

Dr. Nair often sees patients come in with only a surface-level

understanding of their concerns.

“They’ll have an idea of what they think the problem is and what they want the outcome to be,” he explained, “but they don’t always grasp what it actually takes, clinically and surgically, to get there.”

He specifically addressed the growing use of AI in plastic surgery. In one recent case, AI was used to map a patient’s breasts and predict their future desired size post-surgery. While the technology can offer a more precise visualization, it can also lead to unrealistic expectations.

“It puts this image in the patient’s head of, ‘That’s exactly what I’m going to look like,’” he said. “But it’s not possible to predict that that will be the specific outcome.”

He warns against a false sense of understanding that technology can create, emphasizing that genuine expertise requires time, dedication, schooling, and testing.

PERSONAL LIFE, MENTORSHIP, AND FUTURE HORIZONS

At 40, Dr. Nair balances his demanding career with his family life, especially his wife, Tiffany, and their young twin daughters.

“I love hanging out with my kids, and I’ve been trying to do a little more to take time off,” he shared.

A dedicated Buffalo Bills fan, he also enjoys sports, relaxing at home, and being on the ocean fishing with his wife. Travel is another passion; he recently visited Paris and Jamaica, embracing the importance of self-care in a high-pressure profession.

Looking ahead, Dr. Nair envisions a more academic and influential path for his practice, driven by a desire to share his vast knowledge and unique expertise.

“I’d like to eventually go down more of an academic route,” he stated, outlining plans to mentor younger surgeons, delve deeper into publishing and research, and significantly expand his travel and speaking engagements.

His own extensive post-residency training, including plastic surgery fellowships in Tennessee, aesthetics in Laguna, and

reconstructive surgery in Milwaukee, positions him as an ideal mentor, uniquely equipped to guide the next generation. Yet, with characteristic candor, he openly advised aspiring doctors against such a prolonged training path, stating, “I want to encourage young doctors to just get out and go into practice.”

He recalled the immense personal sacrifice during his early years, often working like a “dog” and missing out on precious time with his newborn children. This was a testament to his dedication, but also a valuable lesson he hopes to impart on others.

CONCLUSION

Dr. Nair’s unwavering dedication to his craft, his patients, and the advancement of his field positions him not just as a skilled surgeon, but as a compassionate and impactful leader in the plastic surgery field. With a solid team supporting him, he continues to push the boundaries of what’s possible, providing hope and transformation to those in need.

From correcting the challenging effects of illicit procedures to meticulously crafting aesthetic enhancements, his practice is a beacon of ethical care and surgical excellence. Dr. Narayanan M. Nair stands as a testament to the power of expertise, empathy, and an unyielding commitment to putting patient well-being at the forefront, shaping a healthier, more confident future, one intricate procedure at a time.

Take the first step toward confident, expert care. Learn more about Dr. Nair’s practice at https://www.nairplasticsurgery.com/.

“L arge Study Links Gum Disease With Dementia”

“Periodontal disease may increase the risk of diabetes& heart disease”

“More

Evidence of Link Between Severe Gum Disease and Cancer Risk”

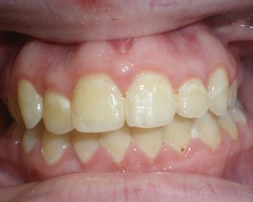
Clinically Proven to Reduce Biofilm 112x Better Than Brushing Alone

Inflammation in the mouth can affect the rest of the body Heart disease, Alzheimer's, pancreatic cancer and many more diseases are linked to gum disease To fight gum disease, you must fight biofilm (dental plaque) and with up to 70% of adults having some form of gum disease, brushing and flossing are not enough OraCare has been clinically proven to remove biofilm 112x better than brushing alone.

WHERE SPIRIT LEADS AND SCIENCE ELEVATES

ULTIMATE WELLNESS™ CONFERENCE RETURNS TO THE ICONIC FAENA FORUM IN MIAMI BEACH ON SEPT 26–28, 2025

ULTIMATE WELLNESS™

“At Ultimate Wellness™, we begin with the spirit—honoring ancient healing wisdom while integrating the latest innovations in longevity science to create a truly holistic wellness experience,” said Julia Smila, visionary founder of the movement that’s redefining health for the modern age.

Back by popular demand, the Ultimate Wellness™ Conference returns to the iconic Faena Forum in Miami Beach from September 26 to 28, 2025. This extraordinary gathering of longevity leaders, spiritual guides, innovators in biotech and health tech, and wellness seekers

is more than a conference—it’s a full-spectrum immersion into holistic health and peak performance, driven by purpose.

Learn more: https://www.ultimatewellness.miami/forum

Longevity science is expanding rapidly, fueled by breakthroughs in biotechnology, artificial intelligence (AI), advanced diagnostics, and cutting-edge biohacking strategies. Researchers can now map the aging process at the molecular level—using genomic sequencing, epigenetic analysis, and biomarker tracking to detect early signs of disease and biological decline, often years before symptoms appear.

At Ultimate Wellness™, we are proud to be at the forefront of this movement, shifting the paradigm from reactive care to proactive, precision-guided longevity. Our expo showcases carefully selected, scientifically validated technologies designed to empower individuals in their pursuit of optimal health and extended vitality.

And yet, even with all this scientific advancement, one fundamental question remains: Longevity for what purpose?

If the spiritual layer is missing, we risk extending lifespan without expanding soul-span. Longevity becomes meaningful only when grounded in love, purpose, connection, and contribution. A 100-year life fueled by fear of death is not the same as one guided by joy, reverence, and deep inner peace.

Research supports this: spiritual well-being is correlated with lower mortality, better cardiovascular outcomes, and healthier lifestyle choices.

We see this connection clearly in the world’s Blue Zones—regions where people live significantly longer, healthier lives. What sets them apart isn’t only diet or activity levels, but deeply integrated spiritual and social practices. From Okinawa to Sardinia, elements such as purpose, spiritual community, rituals, and intergenerational care are at the heart of longevity.

The Ultimate Wellness™ Conference is a global destination where ancient healing meets modern innovation to shape a new vision for holistic longevity.

Held at the architecturally stunning Faena Forum—part of the Faena Hotel Miami Beach resort, widely recognized as Florida’s premier luxury spiritual destination—this venue elevates every moment with light, elegance, and intention.

WHAT TO EXPECT: A TRANSFORMATIVE WEEKEND

• 50+ Expert Speakers delivering keynotes and panel discussions on topics including reversing biological age, regenerative medicine, metabolic and hormonal balance, mental resilience, cellular health, the gut-brain connection, detox strategies, and more.

• 35+ Pioneering Exhibitors showcasing cutting-edge biotech, health tech, and ecoconscious products.

• 10+ Immersive Wellness Experiences and Workshops—from spiritual meditation and DNA awakening to sound healing and Qigong.

• 1,500+ Attendees will include scientists, holistic and functional medicine doctors, regenerative medicine experts, healers, spiritual teachers, wellness entrepreneurs, and conscious consumers.

SPOTLIGHT SESSIONS ON THE MAIN STAGE

Explore leading-edge ideas from the biggest names in wellness and longevity:

• "Biohacking Consciousness" – Dr. Kien Vuu

• "Meditation Reinvented" – Dr. Patrick Porter

• "Quantum Tech & Frequency Medicine" – Philipp Samor

• "Harnessing Healing Technologies" – Robby Besner

• "Biohacking and Beyond" – Leila Centner

• "Optimize Your Mouth, Optimize Your Health" – Maya Assi

• "Deuterium Depletion" – Victor Sagalovsky

• "Built to Last" – JJ Virgin

• "Sexual Optimization" – Dr. Amy B. Killen

• "Menopause, Hormones & the Microbiome" – Cynthia Thurlow, NP

• "Female Longevity and Lifestyle" – Dr. Vonda Wright

• "Bioregulators and Beyond" – Nathalie Niddam

WOMEN'S HEALTH TRACK: SUNDAY, SEPTEMBER 28

This year’s conference will include a full Women’s Health Track, featuring the signature panel: “She Who Heals: Bridging Ancient Wisdom and Modern Science for Radical Self-Care.”

Explore how women can thrive through perimenopause, menopause, and beyond. Can’t attend Friday or Saturday? A Sunday Pass is available.

Full agenda: https://www.ultimatewellness.miami/forum/agenda

BREAKTHROUGH BRANDS FEATURED AT THE EXPO

A sample of the 35+ companies shaping the future of wellness:

• Leela Quantum Tech – Natural energy wellness products

• BrainTap – Neurotechnology for cognitive enhancement

• Centner Wellness – Fusion of healing traditions and tech

• TruDiagnostic – Epigenetic testing and longevity research

• Litewater Scientific – Deuterium-depleted water

• CODE Health – Advanced therapeutic solutions

• Blushield – EMF protection technology

• Alpha Dental Practice & Implant Center – Integrative dental innovation

• Zero Gravity – Aesthetic anti-aging devices

• GutID – AI-powered microbiome analysis

• Iyashi DÔme – Infrared detox and recovery

• Therasage – Infrared healing devices

• NeuX – Physical and cognitive performance platform

• Aqua Cure - Biohacking skincare solutions

• BTT Brain Cooling Device - Non-invasive brain optimization

• Atlas Clinics - Upper cervical care

• KLOUD by Centropix - High-intensity frequency therapy

• Everyday Dose - Mushroom-based coffee alternatives

• Ascended Health - Scalar-infused botanicals

... and many more

Explore all exhibitors: https://www.ultimatewellness.miami/forum/expo

IMMERSIVE WELLNESS EXPERIENCES

This isn’t just about learning—it’s about embodiment and awakening. Experience:

• Twin Hearts Meditation – with Agustina Caminos

• Transformative Breathwork – with Daniel Silva

• Sound Healing – with Jared Bistrong & South Beach Sound Healing Orchestra

• DNA Awakening Meditation – with Sitara

• Kama Flight – Aerial healing movement

More experiences here: https://www.ultimatewellness.miami/forum/experiences

THE ULTIMATE VIP GATHERING OF 2025

The first-ever Lifespanning Award Ceremony will take place on Friday, September 26. Join us in honoring leaders advancing biotechnology, human optimization, and health tech. An exclusive VIP Dinner follows for networking and celebration.

VIP ticket includes:

• Full access to all conference events

• Admission to the Awards Ceremony & Dinner

• VIP Lounge access with complimentary IVs

• Premium Swag Bag with high-value wellness products

Tickets are limited: Reserve your VIP seat: https://www.ultimatewellness.miami/forum

A FAMILY-FRIENDLY WELLNESS RETREAT

The Ultimate Wellness™ Conference is also a family-friendly event. Our Kids Lounge, powered by Centner Academy, offers meaningful, educational activities for children while parents engage in the event.

Attendees will reconnect with their higher self through spiritual activations, ancient rituals, and transformative workshops designed to align mind, body, and soul.

RESERVE YOUR PLACE TODAY

This isn’t just another health event—it’s the ultimate experience in conscious living, science-based transformation, and soul-centered connection.

Use promo code TopDoctor for a special rate.

Reserve now: https://www.ultimatewellness.miami/forum

ABOUT THE FOUNDER

Julia Smila is the founder of Ultimate Wellness™, a Functional Diagnostic Nutrition Practitioner, Pranic Healer, Arhatic Yoga practitioner, and longevity expert. She integrates spiritual insight with cutting-edge health science to help others thrive.

With a background in venture capital—supporting biotech and health tech startups—Julia now focuses on merging ancient healing traditions with modern wellness strategies. She is the host of the annual Ultimate Wellness™ Conference and is cultivating a heart-centered, spiritually aligned global community.

Julia lives in Miami Beach with her daughter Alexa, who shares her passion for holistic health and wellness.

Meet Julia: https://www.ultimatewellness.miami

Join us in Miami Beach, where the future of health begins with the heart, honors the past, and embraces limitless living.

MARKETING THAT GROWS PRACTICES

EXPERTS IN DENTAL + MEDICAL DIGITAL STRATEGY

From branding to SEO to social media, the NOA Firm crafts powerful strategies tailored to healthcare professionals. Led by Aaron Perez trusted by top doctors nationwide.

BRE ATHE NATURALLY.

BRE ATHE BET TER.

Introducing HypoNasal™ the allnatural nasal spray and rinse made with ultra-pure HOCl and Reverse Osmosis water for gentle, effective nasal care

All-Natural & Pure: Made with pharmaceutical-grade hypochlorous acid and reverse osmosis water

Clean Formula: Free of salt, preservatives, stabilizers, and f ragrances

Scientif ically Balanced:

Optimized pH 5 4–5 7 with 100–110 PPM HOCl.

Residue-Free Relief: Soothes, cleanses, and ref reshes without irritation.

Long-Lasting: Stays potent for over 12 months when properly stored

AVAILABLE NOW

HypoNasal™ Twin Pack (2 x 30 mL)

REFERENCES AND RESOURCES

THYROID CANCER AWARENESS MONTH: WHAT YOU NEED TO KNOW

You can find more from Evelyn through her website or social media channels:

1. Website: EvelynFlaharty.com

2. YouTube: Evelyn Flaharty

3. YouTube: Workouts With Evelyn Flaharty

4. Instagram: ffmusclesandcurves

5. TikTok: @evelynifbbpro

6. Facebook: Evelyn Flaharty

FROM MAINE’S SHORES TO TABLES NATIONWIDE: MARK MURRELL’S UNWAVERING PURSUIT OF THE PERFECT LOBSTER EXPERIENCE

1. If you are ready to experience premium Maine lobster delivered directly to your door and create unforgettable moments around your own table, visit Get Maine Lobster to learn more and place your order.

DR. NARAYANAN M. NAIR: A BOARD-CERTIFIED PLASTIC SURGEON REDEFINING HOPE AND HEALING

1. Take the first step toward confident, expert care. Learn more about Dr. Nair’s practice at https:// www.nairplasticsurgery.com/.

ELECTROLYTES IN YOUR DAILY WHOLE FOODS

1. Wempen, Kristi. “The Wonders of Watermelon.” Mayo Clinic Health System, July 27, 2021. https:// www.mayoclinichealthsystem.org/hometown-health/speaking-of-health/the-wonders-of-watermelon.

2. Manaker, Lauren. “Skip the Sugary Sports Drinks—These 20 Electrolyte-Boosting Foods Can Help You Stay Hydrated.” Health, November 8, 2023. https://www.health.com/foods-with-electrolytes-8349000.

3. Leonard, Jayne. “Foods That Are High in Electrolytes.” www.medicalnewstoday.com, May 15, 2020. https://www.medicalnewstoday.com/articles/electrolytes-food.

4. Cleveland Clinic Writing Team. “Rebalance, Replenish: 4 Sources of Electrolytes.” Cleveland Clinic, September 22, 2023. https://health.clevelandclinic.org/best-electrolyte-sources.

WHERE SPIRIT LEADS AND SCIENCE ELEVATES: THE ULTIMATE WELLNESS™ CONFERENCE RETURNS TO THE ICONIC FAENA FORUM IN MIAMI BEACH ON SEPTEMBER 26–28, 2025

1. Learn more: https://www.ultimatewellness.miami/forum

Because Small Tails Don’t Tell Big Stories

Wild caught by hand. Delivered to your Wild caught by hand. Delivered to your door. Ready to steal the show. door. Ready to steal the show.

When it comes to dinner, subtlety has its place. When it comes to dinner, subtlety has its place.

This is not that place.

This is not that place.

This is the kind of lobster tail that earns silence at the

This is the kind of lobster tail that earns silence at the table followed by applause. table followed by applause.

Caught by hand off the coast of the Nor th Atlantic.

Caught by hand off the coast of the Nor th Atlantic. Flash-frozen the day it's landed. Flash-frozen the day it's landed.

Turn static files into dynamic content formats.

Create a flipbook
Issuu converts static files into: digital portfolios, online yearbooks, online catalogs, digital photo albums and more. Sign up and create your flipbook.