Issue 194 - Dr. Matthew Huff

Page 1


DR. CAROLINE STITES' PIONEERING APPROACH TO SOUND FREQUENCY MEDICINE IGNITES A NEW ERA OF WELLNESS WITH VIBRAGENIX

PG 60

DR. MATTHEW HUFF: A DENTIST'S JOURNEY FROM WYOMING TO THE CUTTING EDGE OF TECHNOLOGY

PG 40

TRUST YOUR GUT: HOW NUDORA IS REDEFINING PROBIOTICS

PG 20

"I love seeing the results of smile makeovers. We've had several people unable to get a job, find a girlfriend, or simply feel generally bad about themselves or their appearance due to their teeth.
When we perform smile makeovers, it changes the patient’s whole demeanor and life immediately after the procedure."
-DR. MATTHEW HUFF

OPTIMIZE YOUR WELLNESS WITH CARBON 60 (C60).

C60 has been characterized as the most powerful antioxidant known. It’s hundreds of times more powerful than conventional antioxidants.

Crossing the blood-brain barrier, C60 works at the cellular level to support mitochondrial function. C60 fights inflammation, lifts the oxidative burden, and neutralizes toxic free radicals.

Unlike conventional antioxidants, C60 won’t interfere with any other supplements, vitamins, or medications. It can reset itself, again and again. Take it before your other supplements to boost your morning routine supplement stack.

Most users note an increase in ENERGY and MENTAL CLARITY within 30 days when incorporating C60 Power into their morning routine. Many users note FASTER RECOVERY and IMPROVED PERFORMANCE within this same time frame.

Publisher: John Highland

Editor In Chief: Hannah H.

Editorial Assistant: Jillian Fast

Graphic Designers: Laura Poyner, Dylan R-N

Contributing Authors: Jillian Fast, Evelyn Flaharty, Riley

George, Michele Hughes

PUBLICATION TEAM EXECUTIVE TEAM

Vice President of Development: Mark Carvalho

Business Director: Rob Fletcher

Fractional Marketing Officer: Craig Handley

Advisory Board: Dr. Ken Davis

CONTRIBUTORS MAGAZINE

A LETTER FROM THE EDITOR

Our mission and purpose at TopDoctor Magazine is to foster connections within the health and wellness community and empower our readers to make wellinformed healthcare and lifestyle decisions. We pride ourselves on being the ultimate resource for interviews with health and wellness leaders, trending medical news, and healthy living topics.

We understand that choosing a healthcare provider is a crucial decision. Our in-depth interviews with esteemed doctors and medical professionals aim to bridge the gap between them and their clients. By providing our readers with personal insights, philosophies, and areas of expertise, we facilitate a deeper understanding of the individuals responsible for your health and well- being. We also strive to highlight our outstanding practitioners, showcasing their dedication to their patients and contributions to the medical community.

The field of medicine is constantly evolving, with new practices, therapies, and technologies emerging at a rapid pace. At TopDoctor Magazine, we strive to keep you updated on the latest advancements in the medical world. Our comprehensive coverage of trending medical news equips both doctors and patients with the knowledge they need to make informed choices about healthcare options.

Building strong connections within the medical community is essential for enhancing patient care and driving medical progress. Our magazine serves as a bridge, connecting medical companies with doctors and vice versa. By facilitating these connections, we aim to catalyze collaborations that can lead to innovative solutions and improved healthcare outcomes for everyone.

It is our firm belief that well-informed individuals make better decisions about their health. By providing you with insights into established and emerging medical trends and technologies, we empower you to take an active role in your healthcare choices. Whether you are a healthcare professional seeking to stay updated on the latest advancements or a patient eager to make informed decisions about your well-being, TopDoctor Magazine is here to support you.

In every issue, we strive to uphold the highest standards of journalistic integrity, accuracy, and relevance. Our dedicated team of writers, editors, and medical experts work tirelessly to bring you well-researched and compelling content that is both educational and engaging. Moreover, our graphic design team is committed to delivering an aesthetically pleasing reading experience where captivating design seamlessly merges with informative content, ensuring each issue becomes an engaging journey of discovery.

As we embark on this mission to serve as your trusted source of medical information and insights, we encourage you to join us on this exciting journey. Your feedback and suggestions are invaluable to us, and we look forward to hearing from you.

Thank you for being a part of the TopDoctor Magazine community. Together, let us embrace knowledge, forge connections, and make informed decisions to lead healthier lives.

With warmest regards, Hannah

TABLE OF CONTENTS

10 20 30 40 50 60 72

HARNESSING THE POWER OF C60: AN INTERVIEW WITH JESS MACNAUGHTON, CEO OF C60 POWER

TRUST YOUR GUT: HOW NUDORA IS REDEFINING PROBIOTICS

A LEGACY OF HOLISTIC HEALING: DR. NADINE P. BALDWIN'S JOURNEY

TO RESHAPE THE TREATMENT OF COMPLEX CHRONIC CONDITIONS AND PAIN MANAGEMENT

DR. MATTHEW HUFF: A DENTIST'S JOURNEY FROM WYOMING TO THE CUTTING EDGE OF TECHNOLOGY

OSTEOPOROSIS & BONE DENSITY: WHAT YOU NEED TO KNOW AS YOU AGE

DR. CAROLINE STITES' PIONEERING APPROACH TO FREEQUENCY

MEDICINE IGNITES A NEW ERA OF WELLNESS

DR. NATHAN S. BRYAN ON NITRIC OXIDE: THE LIFESAVING

SUPPLEMENT TO ADD TO YOUR REGIMEN

HARNESSING THE POWER OF C60 AN INTERVIEW WITH JESS

MACNAUGHTON CEO OF C60 POWER

When Jess MacNaughton walked away from a successful two-decade career in commercial real estate, she didn’t expect her next path to lead into science-driven wellness. Yet today, as CEO and co-founder of C60 Power, she’s at the forefront of introducing a revolutionary antioxidant to the healthcare and wellness community.

A SERENDIPITOUS START

When Jess MacNaughton looks back at her 20 years in commercial real estate, she remembers the long hours, constant demands, and “work hard, play hard” lifestyle. On the outside, it appeared successful, but on the inside, she was burned out.

“I thought I was doing all the right things,” she recalled. “I ate organic, I worked out, but I still didn’t feel good.”

Her opportunity for change came in 2016, when a mutual friend introduced her to biogeochemist Ken Swartz. At the time, Swartz was studying a unique molecule called Carbon 60 (C60), originally discovered in 1985. The scientists who discovered C60 were awarded a Nobel Prize in Chemistry in 1996. Initially searching for a way to protect himself from radiation exposure in a laboratory environment, he and his colleagues discovered something even more surprising: it seemed to improve overall health dramatically.

After about a year or less of consistent implementation of C60 throughout the course of his

research and experimentation, Swartz and his colleagues discovered just how powerful this molecule was. He and another gentleman on his team, previously suffering from macular degeneration and other vision concerns, revealed that it was no longer noticeable at his subsequent doctor appointments.

Swartz, hearing Jess’s health concerns, encouraged her to try incorporating C60 into her lifestyle. Skeptical, Jess didn’t jump in right away. “Honestly, it was a concept, an idea I didn’t really understand. Quite frankly, the science went straight over my head,” she admitted with a laugh. “He kept pestering me, and after about six months, I told him I’d try it.”

Within weeks, she noticed sharper focus and increased energy, and six months later, lifelong allergy symptoms and the debilitating cramps she experienced every month were gone. Even her hair, which had never grown past a short bob, began growing faster than ever, her nails too.

“It felt like my brain finally had room to breathe,” she said. “I would describe it as having expanded bandwidth, like when you’re in the flow on the days where you can handle a lot of stress and you’re highly productive, no matter what’s thrown at you.”

THE SCIENCE BEHIND C60

At its core, C60 works at the cellular level to lift the oxidative burden. Shaped like a hollow soccer ball, its unique “buckyball” structure allows it to interact with free radicals in a way no other antioxidant can.

Oxidative stress occurs when unstable molecules, known as free radicals, damage cells by attacking DNA, proteins, and cellular membranes. Over time, this process accelerates aging, fuels inflammation, and may even contribute to the development of chronic diseases. Most antioxidants only neutralize a single free radical and then become inactive.

However, thanks to its unique structure, C60 turns the cellular waste back into water. It can continuously reset itself, neutralizing free radicals over and over again without being depleted or interfering with other nutrients, medications, or supplements.

It also supports hormone health by activating pregnenolone, a precursor molecule, and mimics critical enzymes tied to longevity like Catalase and Superoxide Dismutase (SOD).

“C60 helps people with their unique inflammatory issues,” she said, “Inflammation can uniquely manifest in you, and is likely where you’re going to notice relief over time and long-term use. It’s a very powerful punch that helps to promote a healthy inflammatory and immune response.”

A MISSION WITH PURPOSE

After her personal experience, MacNaughton knew she had stumbled onto something too important to keep quiet. In 2018, she teamed up with Swartz to co-found C60 Power. From day one, the company has focused on purity, transparency, and trust.

Their products are made with 99.99% pure, sublimated C60, blended into organic oils such as MCT coconut oil, avocado oil, and Extra-Virgin olive oil. Each batch is third-party tested, with QR codes on every package, allowing customers to view the results for themselves.

“There’s no toxic solvents involved in our manufacturing process,” she assured, highlighting a key differentiating factor between C60 Power and its competitors, “other companies sometimes outright pretend like it’s something other than what it is.”

That philosophy has made C60 Power the leading brand of choice among doctors, athletes, and wellness advocates. Beyond the science, Jess said, it’s the customer stories that drive her. “Every day we hear from people who feel like they’ve gotten their life back. That’s why we do this.”

“I personally believe each and every one of us has a unique mission here.” MacNaughton stated, “We stand behind what we do and what we’re going after: helping support people and their energy so they can accomplish whatever they’ve been called to do.”

EXPANDING HORIZONS: FROM ENERGY TO ANTI-AGING

When Jess MacNaughton talked about the future of C60 Power, her excitement was contagious. “It started with oils, but oils are just the beginning,” she said with a smile. “Our customers kept telling us how much better they felt, and naturally, the next question was: what else can C60 do?”

That question has taken the company far beyond its original products.

SKINCARE THAT WORKS FROM THE INSIDE OUT

For Jess, skincare was a natural next step. About a year ago, they released their skincare line. Backed by human studies from Japan, C60 applied topically has been proven to lessen the appearance of wrinkles, protect against oxidative damage caused by UV stress, and maintain skin suppleness.

“Once they have their energy issues resolved, my goal for our community is for them to be able to look as young as they feel,” she said.

All products, intended for both men and women, feature natural, no-tox ingredients to help improve the skin, and the results speak for themselves. Customers describe firmer skin, brighter eyes, and less irritation. The Youth Renewal Eye Cream, formulated with copper peptides, has also become a favorite among both men and women who want to soften fine lines or tackle under-eye puffiness. Even the C60 Skin roll-on, designed for bug bites or eczema flare-ups, has gained a loyal following.

GUMMIES FOR THOSE ON THE GO

Not everyone wants to measure out a spoonful of oil every morning, which is why C60 Power’s gummies have been a game-changer.

The gummies, available in regular and sugar-free varieties, quickly became a customer favorite for those on the go, including doctors, athletes, executives, parents juggling long days, and frequent travelers. They aim to support energy levels, as well as promote brain health and performance.

WELLNESS FOR PETS

Their newest, and perhaps most personal, evolution of C60 Power has been the pet line. “For so many of us, pets are family,” Jess said. These safe, tailored formulas for pets, and the stories that have come back, are nothing short of moving.

These formulas are helping pets regain energy, mobility, and playfulness, particularly older animals facing joint discomfort or age-related decline. Even horses are seeing improvements in stamina, recovery, and energy levels. Animal studies indicate that C60 may even support lifespan.

LOOKING AHEAD

For Jess MacNaughton, the mission behind C60 Power has always been about more than products. It is about supporting people so they can live with purpose. With products ranging from oils to skincare to pet support, she’s determined to make wellness something that feels practical and personal. That promise reflects the company’s commitment to both quality and community. “We are 100 percent committed to our customers’ satisfaction. Our desire is that they enjoy life as it was intended; filled with energy, vitality, and purpose,” Jess explained.

She believes that energy is the foundation for everything else in life. “We operate to support people’s energy so they can pursue their purpose. That’s really our goal and our mission,” she said.

Looking ahead, Jess sees C60 Power as part of a broader shift in wellness, one that emphasizes healthspan as much as lifespan. She remains hopeful, despite obstacles such as shifting technologies and unpredictable economic circumstances.

“There’s a wellness revolution happening,” she concluded. “There’s no one-size-fits-all when it comes to health, and people are becoming more aware of their bodies and their choices than ever before. That gives me hope.”

For MacNaughton, that purpose is clear: to help people, and even their pets, live with more vitality, joy, and resilience. And if the stories pouring in from C60 Power’s community are any indication, the future she imagines is already unfolding.

To learn more about C60 Power and how it may help you reclaim your energy and live with purpose, visit their website at https://shopc60.com/.

BRE ATHE NATURALLY.

BRE ATHE BET TER.

Introducing HypoNasal™ the allnatural nasal spray and rinse made with ultra-pure HOCl and Reverse Osmosis water for gentle, effective nasal care

All-Natural & Pure: Made with pharmaceutical-grade hypochlorous acid and reverse osmosis water

Clean Formula: Free of salt, preservatives, stabilizers, and f ragrances

Scientif ically Balanced:

Optimized pH 5 4–5 7 with 100–110 PPM HOCl.

Residue-Free Relief: Soothes, cleanses, and ref reshes without irritation.

Long-Lasting: Stays potent for over 12 months when properly stored

AVAILABLE NOW

HypoNasal™ Twin Pack (2 x 30 mL)

TRUST YOUR GUT

How NUDORA is Redefining Probiotics

For Hootan Melamed, a pharmacist with deep roots in the healthcare industry, the path to founding Nudora was born out of a profound personal tragedy. A fifth-generation healthcare professional, he was destined to pursue a career in healthcare. Though he spent years as a practicing pharmacist, it was the illness of his father that truly ignited the mission behind his company, Nudora. At Nudora, they don’t just target one system—they support both your gut and your brain at the same time. This dualaction approach sends 2X the signal between your body’s two command centers:

Gut Brain & Brain Gut

A PERSONAL JOURNEY INSPIRES A NEW APPROACH

In 2018, Melamed's father, a physician himself, fell ill with a condition that doctors couldn't diagnose. As his health deteriorated, he was prescribed various generic probiotics, but Melamed, with his extensive background in pharmacy, knew something wasn't right.

“Probiotics are meant to support gut health. A myriad of other health benefits flow from a healthy gut. However, the products my father was given were not supporting his health in the ways they should have,” he explained.

He questioned why generic products were being used when a more targeted approach was needed. Finding a better solution became a personal mission for Melamed and his father. Sadly, his father passed away that same year, leaving Melamed to carry on the project alone.

“It took me a little bit to want to continue this project and launch the products on my own,” he said.

Yet, he persevered, driven by a deep-seated desire to continue the work his father and he had started. Ultimately, Melamed knew he wanted to carry on his father’s legacy by providing a product that truly supported other people’s health and well-being.

“Looking back, I’m proud I was able to push forward and carry on the development of Nudora,” he shared.

Melamed's goal with Nudora was to solve several key problems in the supplement market. First, he wanted to create a product that was truly gut-specific, and second, he aimed to reduce the number of capsules people had to take. The concept behind Nudora is to combine a probiotic, prebiotic, and specific herbs and adaptogens into a single, comprehensive formula.

For example, someone dealing with anxiety, sleep issues, and a lack of energy might typically buy three or four separate bottles of supplements, resulting in a daily intake of ten or more capsules. Nudora offers a single solution.

"We offer a product that gives you everything in one bottle," Melamed explained. "All of the products we've created have been clinically studied and tailored to our customers' needs."

A TAILORED APPROACH TO WELLNESS

Nudora’s products are designed to be intuitive for the consumer. The company’s offerings are color-coded, with each color corresponding to a specific health concern.

For example, the orange 2.0 product is designed to reduce inflammation, aid in weight loss, and boost energy. The purple formula is tailored to help with sleep and mental clarity. Melamed uses the products himself, taking the orange for inflammation and the purple to help him wind down and relax at night.

He believes that only the individual knows what they truly need.

"Only you know what you need," he said. "From there, you can pick the formulas we offer that align best with your health goals."

This approach places the power of choice directly in the consumer's hands, enabling them to create a personalized regimen without the need for multiple consultations or complicated testing.

“There are always new ingredients and products coming out on the market, so we always stay up to date on any of the latest changes that are happening in the health and wellness space,” Melamed said, showing Nudora’s commitment to staying at the forefront of the industry.

Nudora has already reformulated its orange product to a 2.0 version, and the company is constantly working to optimize its formulations to ensure the best possible product for consumers, while maintaining its core mission of simplicity and efficacy.

REDEFINING THE INDUSTRY WITH INNOVATION AND QUALITY

Melamed sees a major shift in the wellness landscape as consumers become more educated and proactive about their health.

"People have a lot more access to data now and are more aware of what they eat and what supplements they take," he observed.

He believes that the biggest challenge now is a lack of education about specific probiotic strains and their benefits. Nudora aims to address this by providing products that are scientifically backed and easy to understand.

Melamed credits his wife with the company’s unique packaging, which he says was “designed by a woman for women.” The products are housed in eco-friendly, glass bottles with bamboo caps, a stark contrast to the typical plastic containers found on the market.

"Our packaging is very unique and different from any packaging that's in the market," he highlighted. Their focus on sustainability and aesthetics is another way Nudora stands out from its competitors.

THE FUTURE OF WELLNESS: INNOVATION AND INTENTION

Looking ahead, Nudora is not just following trends—it's creating them. The company has a dynamic pipeline of new projects, each driven by a commitment to solving real-world health challenges with innovative, purpose-driven products. At the forefront of this work is the development of a non-hormonal hot flash formulation, a revolutionary product designed to provide relief for both men and women. They are also developing new products aimed at men’s wellness and women's wellness, expanding their reach to address some of the most pressing health concerns of our time.

Perhaps the most personal of these ventures is a formulation for memory, concussion, and dementia. This project holds a special significance for Melamed, whose daughter endured multiple concussions while playing soccer.

"I know how much those injuries affected her day-to-day life," he shared, calling her experience a "defining moment" that has profoundly shaped his approach to his work.

This commitment to turning personal struggle into a professional solution is at the core of Nudora's mission.

Melamed is confident in Nudora’s unique position in the market, asserting that the company has no true competition. This conviction stems from the meticulous, complex, and scientifically driven process behind every product. The company's unique formulation combines live bacterial strains, prebiotics,

herbs, and minerals, or both—a process that is far more complex than it appears. The biggest challenge, Melamed explained, is a delicate balancing act: ensuring the herbs and adaptogens do not compromise the viability of the live bacterial strains.

"Figuring out which adaptogen can actually work with each strain is the hardest part," he said. This painstaking process means each formulation takes a minimum of three to six months to develop, a testament to the company's unwavering commitment to quality and efficacy.

This rigorous approach allows Nudora to create a product that is not only effective but also unlike anything else on the market. As Melamed puts it:

“Nudora is one of the few brands taking this integrative, condition-specific approach — delivering probiotics, prebiotics, and adaptogens together in formulas tailored to real wellness needs,” Melamed concluded.

To learn more about Nudora’s mission and product line, visit https://nudora.com/pages/why-nudora.

Hey there,

We’re Strive Compounding Pharmacy.

And we’re striving for the personal side of healthcare. You know, Personal Pharma over Big Pharma. People over profits. Well care over sick care. Baseline shifting pharmaceuticals over symptom-covering ones.

We help thousands of healthcare providers just like you write tailored prescriptions so your patients can become the healthiest version of themselves.

Whether you have experience prescribing compounds or not, we make it easy to get started, get confident, and get support.

By joining our network of providers, you’re making medicine more personal—exactly how it should be.

It’s time to Strive Forward, together.

A Legacy of Holistic Healing

DR. NADINE P. BALDWIN’S JOURNEY TO RESHAPE THE TREATMENT OF COMPLEX CHRONIC CONDITIONS AND PAIN MANAGEMENT

For Dr. Nadine P. Baldwin DAc, LAc, BCN, CCHM, a board-certified doctor of acupuncture, healthcare isn’t just a profession; it’s a deeply personal mission. Driven by her family’s struggles with complex chronic conditions, including chronic pain in retirement, Dr. Baldwin founded Arizona Valley Acupuncture to offer a different approach to wellness that focuses on holistic, integrative care.

“We work our entire lives just to enjoy retirement,” Dr. Baldwin said. “But by the time you finally get there, you’re exhausted, your energy is gone, and something always hurts from all the years of hard work.”

She watched her parents experience this reality firsthand, managing multiple doctors with limited results. Dr. Baldwin recalled her parents receiving various forms of treatments for their symptoms, but never for their underlying conditions. It was a cycle she was determined to break.

A FAMILY LEGACY IN SENIOR CARE

Dr. Baldwin’s connection to senior care runs deep. Her father helped shape national legislation for senior living communities, and from the age of 7, she would visit with the residents while he operated the communities. That early exposure instilled a deep respect for the senior population, people she feels are too often overlooked and underserved when it comes to holistic care.

“My father worked for years and years, and when he finally retired, he never really, actually stopped working. When he did slow down, he was in so much pain that he wasn’t able to fully enjoy retired life,” Dr. Baldwin recalled.

She shared the heartbreaking detail that her father, who enjoyed boating and sportfishing in Florida, wasn’t even able to stand on a boat because his knees hurt too badly. That experience fueled her mission to help others avoid the same outcome and ensure that individuals can truly enjoy the fruits of their labor in their golden years.

OVERCOMING OBSTACLES TO OPEN ARIZONA VALLEY ACUPUNCTURE

Dr. Baldwin’s journey to opening Arizona Valley Acupuncture was met with a multitude of unforeseen challenges. Her first clinic, launched in February 2020, was abruptly shut down just four weeks later due to the COVID-19 pandemic.

A second attempt was thwarted when the building was slated for demolition after being in the space for approximately four months. After a brief hiatus, she successfully opened her current clinic in July 2023. Despite the setbacks, the clinic has flourished, becoming a high-volume, multi-room practice focusing on patients with chronic conditions and pain management.

Dr. Baldwin noted the particular need in her community, stating, “This area has limited services for acupuncture, holistic, and integrative health care.” She has now made it her mission to fill that critical gap.

A UNIQUE APPROACH TO PATIENT CARE

Dr. Baldwin’s success lies in her patient-centered philosophy, which begins with active listening. During consultations, she dedicates 15 to 30 minutes to understand each patient’s concerns, health conditions, and most importantly, their health goals. At Arizona Valley Acupuncture, she offers a range of modalities and therapies, all guided by the patient’s individual health needs.

“I guide them toward a clear understanding of what we’re doing, what their concerns are, and more importantly, what their health goals are. We then talk about the process and how we are going to proceed in moving towards those goals,” Dr. Baldwin explained.

She values transparency and encourages open dialogue. “I’m an open book. I don’t beat around the bush, and I’m very direct with my patients in how we can help and what to expect.”

Her care extends beyond office visits with follow-up calls to check on patients, especially after new procedures or external surgeries. This commitment to ongoing support ensures that patients feel cared for beyond the treatment room.

BRIDGING WESTERN AND EASTERN MEDICINE

Dr. Baldwin’s extensive qualifications include a Doctor of Acupuncture degree from the Pacific College of Health and Science, national board certification in acupuncture, a state license in acupuncture, board certification in neuropathy from the ACOPM, and additional studies in natural medicine. Her approach is rooted in family legacy, as her paternal grandfather was a

doctor and pharmacist who started a hospital in upstate New York and practiced medicine with a holistic approach in the early 20th century.

“I was told we apparently followed the same path of medicine, beginning medical school in our 40s,” Dr. Baldwin said, noting the generational link in integrative health.

That lineage has influenced her method of blending Chinese and Western medicine. “You can actually translate a Western diagnosis into an Eastern one, and that’s how I do it,” she explained.

This unique ability to bridge two distinct medical philosophies allows her to offer comprehensive and individualized treatment plans for each patient. The clinic’s tag line says it all: Individualized Treatment Plans, Proven Results.

TACKLING NEUROPATHY, BACK PAIN, AND HEADACHES

Dr. Baldwin’s clinic primarily treats chronic conditions and complex pain conditions, with neuropathy, back pain, headaches, and migraines being the most prevalent.

For neuropathy, a challenging lifelong condition, Dr. Baldwin offers a realistic yet hopeful outlook.

“You cannot 100% get rid of it,” she stated, “However, it is manageable, through multiple modes of treatment.”

She employs a multi-faceted approach, including acupuncture, electrical stimulation, frequencyspecific microcurrent, and injections, sometimes incorporating Chinese herbs. She shared a success story of an 80-year-old patient with diabetic-induced neuropathy, whose large brown “bruise” from a past injury significantly reduced in size with treatment. This case exemplifies her ability to address complex, long-standing issues effectively.

For low back pain, Baldwin highlighted the effectiveness of acupuncture, targeting specific points like UB-40, known as a command point for the low back.

“The turnaround time for the pain is incredible,” she said, recounting how a 90-year-old patient on the verge of an emergency room visit for excruciating pain found relief and was able to walk out of her office the same day. These methods are also used to prevent or address failed back surgeries, offering a viable option for those seeking alternatives to invasive procedures.

Headaches and migraines are often linked to the jaw or neck. Dr. Baldwin emphasizes a deep dive into a patient’s medical history to uncover the root cause, which could be an injury from months or years ago.

“Everything is connected in the body, but unfortunately, people sometimes forget that,” she said, underscoring her holistic view that the body’s systems are intertwined, and an issue in one area can manifest as pain elsewhere.

THE FUTURE OF MEDICINE: INTEGRATIVE CARE

Dr. Baldwin firmly believes that integrative care is the future of medicine, where different modalities work in concert. She is committed to collaborating with Western medical professionals, even contacting primary care physicians to discuss patient progress and treatment plans. This collaborative spirit ensures the best possible outcome for the patient, regardless of the treatment origin.

“I’m very happy to call primary care physicians and tell them what I have done or what is working for the patient,” Dr. Baldwin told us. “At the end of the day, my job is to get my patient feeling well again, in the best way I can.”

Her practice is built on a patient-first philosophy, going so far as to advocate on their behalf with insurance companies for necessary imaging or blood work.

A VISION FOR THE FUTURE OF HEALTHCARE

Dr. Nadine P. Baldwin’s journey with Arizona Valley Acupuncture reflects a deep-seated commitment to transforming healthcare, particularly for patients with complex chronic conditions. Her clinic, born out of personal experience and a dedication to holistic principles, offers a compelling alternative to traditional pain management. Dr. Baldwin’s emphasis on listening to patients, integrating diverse healing modalities, and fostering collaboration with Western medical doctors positions her at the forefront of a growing movement towards more personalized and comprehensive care. She believes that “every form of medicine has its place” and that some bodies respond better to natural forms of medicine, advocating for a future where patients have access to all viable options.

As she looks to expand her practice, Dr. Baldwin’s vision underscores a hopeful future where patients can truly “live life pain-free,” benefiting from an approach that recognizes the interconnectedness of the body and the unique needs of each individual.

It’s a powerful testament to the idea that the best healthcare often lies in blending the wisdom of the past with the innovations of the present. Her long-term vision is to expand Arizona Valley Acupuncture to provide treatment for chronic conditions and pain management to a larger population across the Valley.

“I’m excited to keep growing this practice and to help even more patients through the powerful blend of acupuncture, holistic care, and Western medicine,” she said, envisioning a future where every patient receives truly personalized treatment.

Learn more about Dr. Baldwin’s approach and how Arizona Valley Acupuncture is redefining care at www.azvalleyacu.com.

1,500 PARTICIPANTS: HEALTH & WELLNESS EN

35+ TOP SPEAKERS: INTEGRATIVE MEDICINE D

35+ EXHIBITORS: LONGEVITY TECH & ECO-PRO

15+ EXPERIENCES: HEALING & SPIRITUAL PRA

DR. A DENTIST'S JOURNEY FROM WYOMING TO THE CUTTING EDGE OF TECHNOLOGY MATTHEW HUFF

Dr. Matthew Huff's path to becoming a dentist is a story of mentorship, a unique opportunity, and a deep-seated passion for both technology and patient care. From a small town in Wyoming to a bustling, state-of-the-art practice in Texas, Dr. Huff's career has been shaped by a steadfast desire to improve lives and stay at the absolute forefront of dental innovation. His journey reflects a commitment not just to his craft but to the people he serves, showcasing how a blend of personal passion and professional development can lead to a truly impactful career.

THE EARLY YEARS: MENTORSHIP AND MISSION

Dr. Huff's journey began in Lander, Wyoming, where he was exposed to the world of dentistry through his parents. His mother worked as a dental assistant, and his father was a facilities manager. The dentists who worked alongside his mother took him under their wing, offering guidance and showing him the profound impact their work had on patients. Reflecting on that time, Dr. Huff said the experience “just felt like the right fit.”

This early exposure instilled in him a clear sense of purpose and a career path that felt both natural and fulfilling.

After completing his undergraduate studies at the University of Utah, Dr. Huff pursued his Doctor of Dental Surgery degree at Virginia Commonwealth University's School of Dentistry. Upon graduation, he fulfilled the terms of a scholarship that required him to work in an underserved area. This led him to a Native American reservation in Montana, a period he now looks back on as a true blessing. The remote location meant there were no specialists, and Dr. Huff was given an unparalleled opportunity to broaden his skills.

"They sent me all over the country," he explained. "I got a lot of valuable experience there."

It was on the reservation that a pivotal moment in his career occurred. A tribal chief with a loose denture approached him, seeking a solution. Dr. Huff, recognizing the limitations of traditional dentures, suggested dental implants. The chief's simple, yet powerful gesture—a wave of his hand—was all it took.

I received a call from the director of my program, saying, 'Hey, the Chief wants to get implants. You're approved to get training,’ he recalled.

This green light led him to New York, Las Vegas, and other locations to learn implantology. He quickly fell in love with the field, captivated by the immediate and dramatic difference it made in his patients' lives.

“With implant dentistry, I could see an immediate difference my work had in the patients’ quality of life and their confidence,” he said.

PRECISION AND PEOPLE: A PRACTICE WITH PURPOSE

Today, Dr. Huff’s practice is a unique blend of general dentistry and advanced, specialized procedures. He dedicates two days a week to routine dental care and the other two to complex implants and surgery. This, combined with a deep commitment to patient communication and the latest technology, has established his practice as a leader in the field.

A central tenet of his practice is a patient-centric approach.

“My number one priority is to connect and communicate with my patients and truly understand what they want, rather than assuming what they need,” Dr. Huff said.

He believes this focus on patient desires is a foundational pillar, ensuring a strong, trusting relationship and effective treatment.

The other pillars of his success are his highly trained team and an unyielding commitment to staying current with technology. Dr. Huff considers his team his "secret weapon," praising their expertise, passion, and high level of training. He also emphasized the importance of continually honing his own skills.

“My goal is to personally keep on top of emerging technologies and stay sharp and in tune with the future of dentistry,” Dr. Huff said, emphasizing that being able to adapt to the ever-changing landscape of dentistry is essential for successfully navigating the complexities of his cases.

To maintain this high standard, the practice has invested significantly in cutting-edge technology. The clinic boasts 3D printers, an in-house digital designer, and a full-service lab, which gives them complete control over the quality of their work and allows them to offer a truly unique product. Their latest and most significant acquisition is a robotic arm called Yomi.

"You can plan the patient’s case on the computer, and it uploads into this robotic arm," Dr. Huff explained. "From the implants to the teeth, everything is dialed in and perfected. We’re incredibly excited to bring this technology to our area."

This technology allows for unparalleled precision, marking a new chapter in the practice's ability to deliver flawless results.

THE

FUTURE:

EXPANDING KNOWLEDGE AND GIVING BACK

Looking to the future, Dr. Huff is focused on both expanding his practice and educating the next generation of dentists. He is in the process of building a new facility that will include a dedicated surgery center, and plans to bring on another doctor to whom he can impart his specialized techniques. He also aims to share his knowledge with the broader dental community.

"My in-house lab will be used to train other dental offices, staff, and designers because that's where the future of dentistry is heading," Dr. Huff explained.

He is also developing an online educational series for doctors, covering essential topics that he believes are not adequately taught in dental school, such as ethical business practices, team building, and effective communication.

Dr. Huff is passionate about helping other dentists navigate the unique nature of their profession, where many procedures are elective.

“While these procedures are elective, it really comes down to the question of how dental problems are affecting a patient's quality of life,” he shared. “My grandpa lived to be 90 years old, but didn’t have teeth, and it significantly impacted how he was able to function in his day-to-day life. It's a question of what you want your quality of life to be."

This educational approach empowers patients to make informed decisions about their health and happiness, and he wants to help other dentists find a middle ground between being overly pushy and being afraid to speak up.

“My goal in providing these online training courses is to help others team-build, streamline communication, expand their knowledge on new technological procedures, and give back to the community as a whole by providing resources for a larger number of dentists to access,” he said.

While he is excited about the future of technology, especially the potential of artificial intelligence revolutionizing medicine, Dr. Huff's greatest joy remains the impact he has on people's lives.

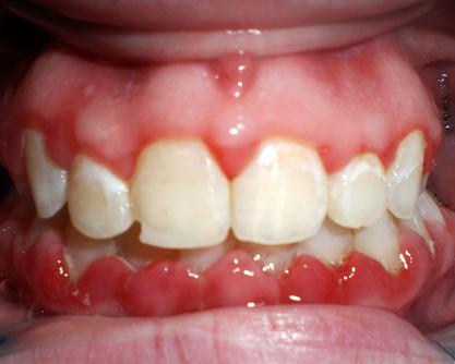
"I love seeing the results of smile makeovers," he shared. "We've had several people not be able to get a job, find a girlfriend, or just feel generally bad about who they are or how they look because of their teeth. When we perform smile makeovers, they just change the patient’s whole demeanor and life immediately after the procedure."

He recounted a particularly moving story about a patient who, after his wife's passing, had a smile makeover that helped him regain his confidence. He eventually found a new partner and even invited Dr. Huff and his team to their wedding.

“It was really fun to see all the smiles and pictures being taken. It made us feel great, knowing we contributed, in part, to this man’s overall life and well-being.”

Additionally, Dr. Huff is a Certified Angel Flight Instructor. He volunteers his time and his aircraft to patients in need, transporting them to necessary medical appointments. In this role, he coordinates with healthcare providers and patients to schedule flights, conducts pre-flight inspections, ensures the highest standard of aviation regulation and safety is met, and maintains communications with air traffic control throughout the flight's duration.

Going beyond the technical requirements of this task, Dr. Huff offers himself as a pillar of support and compassion to patients and their families throughout what may be a difficult time and journey for them.

A LEGACY OF KINDNESS AND HUMILITY

For Dr. Huff, his career is not merely a professional achievement, but a profoundly humbling experience born from a legacy of kindness. He attributed his success not to his own efforts alone, but to the countless people who have guided him along the way.

"I feel lucky to have had so many people mentor and coach me throughout my life," he said.

This profound gratitude extends to everyone, from his early teachers and professors to his colleagues and even his patients.

He recalled a pivotal moment when a patient shared valuable business advice that completely reshaped his career.

"I had a patient talk to me about the business side of dentistry and how to manage my practice better. His advice changed my career," Dr. Huff said, the moment serving as a powerful testament to his belief that wisdom can come from any source.

Dr. Huff's journey is a powerful reminder that while technology and skill are essential, the most significant achievements are often built on a foundation of human connection and a willingness to learn and give back. His story is evidence of the idea that individual accomplishments do not measure true success, but by the positive impact one has on their community, one smile at a time.

Take the first step toward your perfect smile.

Explore Dr. Huff’s services at https://kerrvilledentistry.com/.

Because Small Tails Don’t Tell Big Stories

Wild caught by hand. Delivered to your Wild caught by hand. Delivered to your door. Ready to steal the show. door. Ready to steal the show.

When it comes to dinner, subtlety has its place. When it comes to dinner, subtlety has its place.

This is not that place. This is not that place.

This is the kind of lobster tail that earns silence at the This is the kind of lobster tail that earns silence at the table—followed by applause. table followed by applause.

Caught by hand off the coast of the Nor th Atlantic.

Caught by hand off the coast of the Nor th Atlantic. Flash-frozen the day it's landed. Flash-frozen the day it's landed. We don’t

OSTEOPOROSIS & BONE DENSITY

WHAT YOU NEED TO KNOW AS YOU AGE

ging is a journey we all take, one filled with wisdom, memories, and a deeper understanding of what truly matters. But as we blow out more candles on our birthday cakes, certain silent changes are happening inside our bodies that we may not immediately notice. One of the most important, yet often overlooked, is what’s happening with our bones.

Our bones are the foundation of our body, quite literally. They hold us upright, protect our organs, anchor our muscles, and store essential minerals like calcium and phosphorus. Yet, as we age, our bones can become more fragile. This process is called osteoporosis, and it affects millions of people, most of them unknowingly until a fall, a fracture, or a sudden back pain forces them to take notice.

So, what exactly is osteoporosis? And more importantly, what can we do about it?

UNDERSTANDING BONE DENSITY AND OSTEOPOROSIS

Bones aren’t just static structures like concrete; they’re living tissues that are constantly being broken down and rebuilt. When we're young, the building happens faster than the breakdown. However, somewhere around our 30s, that balance begins to shift. The rebuilding slows, while the breakdown picks up pace. Over time, this can lead to a gradual loss of bone mass and strength.

Osteoporosis, which literally means “porous bone,” occurs when the bones become so weak and brittle that even a minor fall or bump can result in a fracture. The most common fractures linked to osteoporosis happen in the hip, spine, and wrist. These aren’t just painful injuries; they can be life-altering, particularly in older adults.

The truth is, osteoporosis is often called a “silent disease” because it develops slowly and without symptoms. You might not feel your bones weakening; there’s no headache, no fever, no rash. Everything seems fine, until it's not. That’s why awareness and early testing are so important.

THE ROLE OF AGE AND OTHER RISK FACTORS

While anyone can develop osteoporosis, age is the most significant risk factor. As we get older, our bones naturally lose density. Women, especially after menopause, face a greater risk due to the drop in estrogen levels, a hormone that helps protect bones. In fact, according to the National Osteoporosis Foundation, about one in two women over the age of 50 will break a bone due to osteoporosis. Men aren’t off the hook either; one in four men over 50 will suffer an osteoporosis-related fracture.

But age isn’t the only culprit. Other risk factors include:

• Family history: If your parents or grandparents had osteoporosis or frequent fractures, your chances may be higher.

• Body size: Smaller, thinner individuals tend to have less bone to lose.

• Diet: A lack of calcium and vitamin D over the years can weaken your bones.

• Lifestyle habits: Smoking, excessive alcohol, and a sedentary lifestyle all contribute to bone loss.

• Certain medications and conditions: Long-term use of corticosteroids, or medical issues like rheumatoid arthritis or thyroid disorders, can affect bone health.

The good news? There’s a lot we can do to reduce our risk, especially if we start paying attention early.

THE IMPORTANCE OF TESTING

Because osteoporosis doesn’t announce itself with loud symptoms, the only reliable way to know your bone health is to get tested. This is where bone density testing, also called a DEXA scan, comes in.

A DEXA (dual-energy X-ray absorptiometry) scan is a quick, painless, and non-invasive test that measures bone mineral density (BMD). It’s usually performed on the lower spine and hips, the areas most vulnerable to fractures. The scan compares your bone density to that of a healthy young adult and gives you a score called a T-score. The lower the score, the higher your risk of fracture.

This test can be a game-changer. It doesn’t just tell you where you stand; it helps guide your next steps. Whether that means starting treatment, changing your diet, incorporating weightbearing exercises, or simply monitoring your progress over time, testing empowers you to take control of your bone health.

Doctors usually recommend a bone density test for women over 65 and men over 70. But if you have risk factors like early menopause, previous fractures, or a family history of osteoporosis, you may need to be tested earlier. I tend to have low calcium levels because I had thyroid cancer and also had several of my parathyroid glands removed. Consequently, I started having bone density scans earlier and continue to have them done every two years.

PREVENTION: BUILD A BONES-STRONG LIFESTYLE

Think of your bones like a retirement savings account. The more you “deposit” early on, the more you’ll have to draw from later in life. But even if you're getting a late start, there’s still a lot you can do to protect and improve your bone density.

Nutrition That Nourishes

Calcium and vitamin D are the dynamic duo when it comes to bone health.

• Calcium is the primary mineral in bones. Adults typically need about 1,000 to 1,200 mg

per day. Good sources include dairy products, leafy greens like kale, almonds, and fortified foods, like orange juice or cereals.

• Vitamin D helps your body absorb calcium. We get it from sunlight, but as we age or spend more time indoors, our ability to produce vitamin D decreases. Supplements may be necessary, especially in winter months or for those living in northern climates.

Magnesium, vitamin K, and protein also play key roles in maintaining strong bones. A balanced diet filled with whole foods is your best bet.

Exercise for Stronger Bones

It might seem counterintuitive to stress bones that are becoming more fragile, but that’s precisely what they need. Bones respond to stress by becoming stronger, much like muscles.

Weight-bearing exercises like walking, hiking, jogging, dancing, or stair climbing are excellent for building bone mass. Resistance training, such as lifting weights or using resistance bands, strengthens both muscles and bones. Even balance and flexibility exercises like tai chi and yoga can reduce fall risk, which is crucial for preventing fractures.

The key is consistency. You don’t have to run marathons, just move often, and with purpose.

Lifestyle Choices Matter

Smoking and excessive alcohol intake can sabotage your bone health. Nicotine interferes with calcium absorption, and alcohol can hinder the body’s ability to make new bone.

Also, watch out for high caffeine and soda consumption. Some studies suggest that too much caffeine or phosphoric acid (found in many sodas) might interfere with calcium absorption. Moderation is key.

WHEN TREATMENT IS NECESSARY

If a bone density test reveals that you have low bone mass (osteopenia) or osteoporosis, don’t panic. There are several treatment options available.

Medications known as bisphosphonates are commonly prescribed to slow bone loss and reduce fracture risk. Other options include hormone-related therapy (HRT), injectable medications that build new bone, or newer drugs that block bone breakdown in different ways.

As with any treatment, it’s essential to have a conversation with your primary care physician about risks, benefits, and what’s best for your specific situation. Medications work best when paired with lifestyle changes, not as a substitute for them.

THE LINK BETWEEN OSTEOPOROSIS AND OVERALL HEALTH

Bone health is often connected to other aspects of well-being. A fractured hip, for instance, can lead to extended hospital stays, reduced mobility, and even long-term care needs. Studies show

that older adults who suffer hip fractures have higher mortality rates within a year after the injury. That’s how serious it can be.

On the other hand, strong bones support a more active lifestyle, better balance, and a reduced risk of falls. And staying active into older age has benefits that ripple out into every part of your life, from cardiovascular health to cognitive function to emotional well-being.

There’s also a psychological element. Maintaining strength and independence helps people stay confident and optimistic as they age. No one wants to live in fear of falling. Healthy bones allow you to keep doing the things you love, like gardening, playing with grandchildren, traveling, or just going for a daily walk.

WHEN SHOULD YOU START CARING ABOUT BONE HEALTH?

The short answer? Now.

If you’re in your 20s or 30s, this is your prime time to build peak bone mass. Think of it as laying a strong foundation.

If you’re in your 40s or 50s, start being more intentional. Get your nutrients, lift some weights, and talk to your doctor if you have risk factors.

If you’re over 60, don’t think it’s too late. Testing becomes even more critical now, and many lifestyle changes can still improve bone density or slow its loss. My most recent bone density scan showed that some areas of my body have improved, which means my bones are responding to my exercise and nutrition regimen that I started in my sixties.

KNOWLEDGE IS POWER

Osteoporosis may be common, but it doesn’t have to be inevitable. It’s a condition that thrives in silence and inaction, but it can be managed with awareness, prevention, and timely care.

The most powerful step you can take is to get informed and stay proactive. Talk to your health care provider about bone density testing. Make small, consistent changes to your diet and exercise routine. If you're a caregiver, encourage your loved ones to get tested too.

Remember, strong bones are what carry us through life. They give us freedom, stability, and resilience. By giving them the attention they deserve, you’re investing in a future where you stay active, independent, and full of vitality, no matter your age.

MARKETING THAT GROWS PRACTICES

EXPERTS IN DENTAL + MEDICAL DIGITAL STRATEGY

From branding to SEO to social media, the NOA Firm crafts powerful strategies tailored to healthcare professionals. Led by Aaron Perez trusted by top doctors nationwide.

COFFEE THAT HEALS COFFEE THAT HEALS

DR. CAROLINE STITES'

PIONEERING

APPROACH

TO SOUND

FREQUENCY

MEDICINE IGNITES A NEW ERA OF WELLNESS WITH VIBRAGENIX

From a childhood surrounded by a family of female physicians to pioneering a new frontier in health, Dr. Caroline Stites embodies a lifelong dedication to healing. Her journey, initially rooted in traditional medicine, evolved into a profound exploration of natural and, ultimately, frequency-based therapies. It's a path driven by a fundamental question that challenges conventional thinking: "Why are we not using energy or frequency to treat the frequency field of the body?"

A CHILDHOOD STEEPED IN MEDICINE SHAPES A FUTURE INNOVATOR

For Dr. Stites, the desire to heal was instilled at a remarkably young age, almost as if it were a genetic predisposition.

“I was adopted into and raised by a family where all the women were physicians, and that’s what inspired me to become a doctor,” she recounted, noting the strong medical influence in her upbringing.

Her mother, a physician who taught at the Loma Linda School of Medicine and Public Health, and an aunt who was a practicing physician and surgeon, provided early and intimate exposure to the intricate world of medicine. By the tender age of 12, Dr. Stites was already observing

complex medical procedures, witnessing her first surgery, an ascending colon resection, followed by a tubal ligation, alongside deliveries and clinical time.

"I was absolutely fascinated that physicians could go in and cut out a problem,” she said.

However, as she approached the point of entering medical school, a critical realization sparked a profound shift in her perspective.

"My 'aha' moment was wondering why the medical industry was just using drugs and surgery and not addressing the root of the problem or considering other options," she told us.

This pivotal question, which challenged the very foundation of her upbringing's medical ethos, led her to pursue a different path. She chose to become a naturopathic physician, diligently pursuing her education by putting herself through school. She started at a community college level before transferring her credits to Clayton College. There, she earned a bachelor's degree in natural health, her naturopathic doctorate, and later a master's in holistic nutrition. Despite these advancements, she still felt a lingering incompleteness in the healing process.

"I stopped providing heavy supplementation to patients," she observed, noting the metabolic burden on the body. "Everything has to be processed by the liver. Everything has to be broken down in the body, and it was inundating people with too many toxins."

She sought a faster healing process, one that transcended the limitations she perceived in both conventional and initial naturopathic approaches.

THE PROFOUND EVOLUTION TO FREQUENCY MEDICINE: UNLOCKING THE BODY'S ENERGETIC POTENTIAL

Dr. Stites' relentless quest for more effective and less invasive healing modalities led her to delve deeply into Eastern medicine. She found its philosophy profoundly insightful, particularly the notion that every disorder, dysfunction, and disease is due to blocked trauma in the body, which can be physical, emotional, or mental trauma. This exploration ignited a deeper understanding of the human body at its most fundamental level, not merely as a collection of tissues and organs, but as energy.

"I know we are literally not just flesh and bone and blood and organs and systems," she articulated. "We are, at our most basic building block, an atom, an amazing little particle with electrons speeding at nearly the speed of light. It's 99.99999 percent space and vibrating energy, and there are a hundred trillion atoms in every cell, and a hundred trillion cells in the human body."

This revelation, combined with the scientific understanding that the human body is up to 70% water, led her to a groundbreaking conclusion: "Sound travels five times faster and much more efficiently through water."

She realized the immense potential of converting existing frequency formulas, even those from pioneers like Hulda Clark and Royal Rife, into sound to achieve profound therapeutic effects,

literally affecting "every cell, every atom at the same time." This insight marked the pivotal moment of her pioneering work in sound frequency medicine, integrating it into her practice and beginning to observe remarkable results.

INNOVATING WITH VIBRAGENIX: A COMPREHENSIVE, STACKED HEALING SYSTEM FOR THE MASSES

Driven by a fervent desire to extend her impact beyond treating only one person at a time, Dr. Stites envisioned a system that could bring this powerful healing modality to a broader audience. This ambitious goal led her to collaborate with key individuals. She first found a product and began integrating sound frequency medicine software, and then connected with Carl Cadwell, a manufacturing expert with an impressive forty years of experience, and a talented programmer named Brian. Together, they developed the VibraGenix system. Cadwell, initially skeptical about frequency medicine, became one hundred percent on board after experiencing amazing medical transformations himself.

"The product took off from there," Dr. Stites shared, noting their transition into manufacturing after about three years of research and development. She has been able to integrate nearly 3,000 Sound Frequencies, Scalar Waves, and Tri-Lateral Balanced Sine Waves, among others.

The urgency for such integrative solutions became even more apparent with the onset of the COVID-19 pandemic. Physicians attending events like A4M expressed feeling overwhelmed, observing that patients who once had about two diagnoses now presented with ten diagnoses after contracting the coronavirus.

"The mitochondria take a huge hit from the coronavirus, which is the energy powerhouse inside every cell," Dr. Stites explained, providing a biological basis for the widespread fatigue and health issues.

This further reinforced her belief in supporting the body's innate healing capabilities, a concept rooted in the principle of cell voltage. She cited research on cell voltage, noting that unhealthy cells, particularly cancerous ones, often exhibit negative fifteen to twenty millivolt readings. The goal, she explained, is to elevate the body's voltage to negative seventy to ninety millivolts, at which point the body transforms into a “spontaneous self-healing machine." VibraGenix, through its sound frequency vibration, aims to achieve this and has been shown to visibly increase sustained cell voltage even after just ten minutes of use.

Beyond the core VibraGenix unit, Dr. Stites and her team are continuously innovating and integrating sound frequency medicine into various modalities, including medical-grade red light technology, which now incorporates all necessary sound healing frequencies.

"We're trying to combine and stack as many modalities together as possible," she emphasized.

Her ultimate aim is to create a comprehensive, high-quality healing system at the best possible price point, integrating sound frequency medicine into every modality possible, whether it's a sauna with near, mid, and far-infrared therapy, or medical-grade red light technology. This multi-

modality approach, including PEMF (Pulsed Electromagnetic Field) Therapy combined with heat from tourmaline and jade stones, ensures a comprehensive and efficient healing experience.

“The more I integrate these frequency-healing modalities, the faster people achieve profound healing results,” she said.

TACKLING COMMON AILMENTS WITH UNPRECEDENTED FREQUENCY-BASED RESULTS

Dr. Stites' VibraGenix system offers remarkable and often rapid results for a wide range of conditions, transforming patients' lives.

For individuals suffering from the persistent effects of long-haul COVID, Dr. Stites has seen astounding improvements. She shared the powerful story of a woman who had battled severe symptoms since 2020, with her condition worsening each year. By 2023, after visiting twelve physicians who found nothing wrong with her lungs, she still felt she couldn't breathe— describing it as if there were "big clouds in her lungs." She could barely walk, despite weighing only 107 pounds. Desperate and ready to give up, she tried a single 20-minute session on a VibraGenix Sound Frequency machine, running a specific frequency protocol. The next morning, the symptoms were gone. Within two weeks, she was throwing a Frisbee for her dog, taking long walks, and was able to stand for prolonged periods of time, a stark contrast to her previous state.

Kidney stones, a notoriously painful condition that often leads to emergency room visits, can also be addressed with specific frequencies. Dr. Stites shared a compelling case of a woman who, having already had one kidney stone surgically removed, faced a similarly large stone in the other. After two 20-minute sessions, one at a trade show and another in the office, a subsequent scan revealed the stone was gone entirely.

This non-invasive approach offers a significant and welcome alternative to conventional surgical interventions. The technology can even aid those with very low GFRs (glomerular filtration rates) and those who are getting close to going on dialysis, by actually bringing their kidney function back up. For home use, a mobile unit called the Excelerator provides the same frequency formulas, allowing individuals to target specific areas, such as the kidneys, with sound transducers.

Dr. Stites cited a case where her husband's mother, struggling with incontinence and facing a $500 a month medication with unwanted side effects, used the Excelerator and was able to discontinue the medication on a Sunday. By that Wednesday, she was no longer experiencing incontinence.

Olympic and professional athletes widely use the VibraGenix for effective warm-ups and, more importantly, accelerated recovery.

"This helps somebody heal so rapidly that you can be at almost 100% by the next day, in many cases," Dr. Stites noted, highlighting its ability to accelerate cellular repair and rejuvenation, something vital for athletes. Carl Cadwell, at 81, remains incredibly active, water skiing and playing squash, while looking fifteen years younger than his actual age. Cadwell serves as a testament to the technology's ability to turn back the clock by promoting healthy new cell formation.

Beyond these specific conditions, the VibraGenix offers broader physiological benefits as well. It provides significant passive exercise, showing that using the device for ten minutes delivers the same advantages as going for a one-mile walk, which is particularly beneficial for the increasingly sedentary population or those with limited mobility. This passive activity, combined with frequencies for lipolysis and cavitation, as well as metabolism-stimulating frequencies, has yielded remarkable weight loss results. In a one-month study, participants, most of whom did not exercise and made no dietary changes beyond drinking more water, saw significant weight and inch loss. One individual lost 21.8 pounds and 21 inches. The machine also effectively stimulates the lymphatic system, which Dr. Stites referred to as "the most important detoxification system in the body," crucial for detoxification and often stagnant in inactive individuals.

Additionally, the radio frequency foot therapy machine called the VibraGenix RF Heat Therapy (RFHT) Unit utilizes radio frequencies to heat the body's core temperature from the inside out, helping combat viruses and bacteria. The PEMF (Pulsed Electromagnetic Field) Mat, combined with heat, enhances microcirculation, which makes up "74 percent of the circulation in your body.” Even a sound bed, or "med bed" as it's often called, has been developed. It’s designed with an eight-speaker sound transducer system and all 3,000 frequencies to provide full-body frequency immersion.

A COMMITMENT TO GLOBAL EDUCATION AND FUTURE EXPANSION

Dr. Stites is unequivocally passionate about educating the medical community and the public about the transformative power of sound frequency medicine.

"I want to get this out to all parts of the world," she said, emphasizing her lifelong mission to reach and help as many people as possible.

She recognized the need to overcome misconceptions, particularly regarding the visual appearance of the VibraGenix.

"A lot of people will look at it and think it's a traditional vibration plate, but it is the opposite," she clarified, stressing that, “It is completely sound-driven, there's no mechanical movement, although there is plenty of amplitude and vibration.”

She contrasts this with less expensive mechanical machines that don't offer the same sustained therapeutic benefits.

Her vision extends to reaching as many people as possible, not just one at a time, but by empowering clinics and homes with this transformative healing system. Dr. Stites firmly believes, as did Einstein, “the future of medicine will be the medicine of frequencies,” anticipating a time when current medical practices might be viewed as rudimentary in comparison. Her dedication is evident: to ensure this cutting-edge approach to wellness becomes widely accessible, ushering in an era of more effective and holistic healthcare.

Discover the Power of Vibrational Healing.

Explore Dr. Stites’ groundbreaking technology designed to restore balance and wellness. Learn more at Vibragenix.com.

AGELESS TIMELESS AND DR. NATHAN S. BRYAN ON NITRIC OXIDE

THE LIFESAVING SUPPLEMENT TO ADD TO YOUR REGIMEN

HOST OF THE AGELESS AND TIMELESS PODCAST

ABOUT DR. NATHAN S. BRYAN

Dr. Nathan Bryan earned his undergraduate Bachelor of Science degree in Biochemistry from the University of Texas at Austin and his doctoral degree from Louisiana State University School of Medicine in Shreveport, where he was the recipient of the Dean’s Award for Excellence in Research. He pursued his post-doctoral training as a Kirschstein Fellow at Boston University School of Medicine in the Whitaker Cardiovascular Institute. In 2006, after a two-year postdoctoral fellowship, Dr. Bryan was recruited to join the faculty at the University of Texas Health Science Center at Houston by Ferid Murad, M.D., Ph.D., a 1998 Nobel Laureate in Medicine or Physiology.

Dr. Bryan has been involved in nitric oxide research for the past 25 years, making numerous seminal discoveries in the

field. Dr. Bryan is a successful entrepreneur and the Founder, Chairman, and CEO of Bryan Therapeutics, Inc., a privately held, clinical-stage biotechnology company actively engaged in the discovery and development of nitric oxide-based therapies. BTI has active drug development programs in heart disease, Alzheimer's Disease, and topical drugs for diabetic ulcers and non-healing wounds. Dr. Bryan’s consumer line of products is one of the most successful nitric oxide products on the market, and he is an international leader in molecular medicine and nitric oxide biochemistry.

PODCAST

HOW DID YOU GET INVOLVED IN NITRIC OXIDE RESEARCH?

I’ve always had an interest in science and medicine, even dating back to high school. After graduating with a Bachelor of Science Degree in Biochemistry from the University of

Texas, I enrolled at the LSU School of Medicine in Shreveport to pursue a Ph.D. in Molecular and Cellular Physiology. This was just after a Nobel Prize was awarded for the discovery of nitric oxide in 1998. Dr. Lou Ignarro, one of the scientists who won the Nobel Prize, came to speak at LSU and lectured on his role in the discovery of nitric oxide. I had the fortunate opportunity to meet with Dr. Ignarro one-on-one, and he told me that whoever figures out how to restore the production of nitric oxide in humans will change the world and the landscape of medicine and healthcare. Well, that got my attention.

At that time, I was already training under a pharmacologist who had been involved in nitric oxide research for the previous 20 years. I had the perfect mentor and the perfect research environment to singularly focus on nitric oxide biochemistry and physiology. During my Ph.D. work, we developed a method to measure and detect nitric oxide in biological systems, providing our research team with a unique tool to discover what others could not. I completed my Ph.D. in under three years, then moved to Boston for a postdoctoral fellowship at Boston University School of Medicine. There, I continued my research focus on nitric oxide.

WHAT IS NITRIC OXIDE?

Nitric oxide is a naturally produced gas that acts as a signal transduction molecule. Once produced, it is gone in less than one second. However, in its very short lifespan, it activates a number of other second messenger systems that regulate blood pressure, circulation, oxygen delivery, stem cell mobilization, fight off infections, regulate cellular energy production, and ultimately influence all aspects of what we know regarding health and longevity.

HOW IS NITRIC OXIDE INVOLVED IN PROMOTING LONGEVITY AND PREVENTING DISEASE?

The field of longevity, or how to live a longer and healthier life that is free from disease, is a growing discipline. Three primary objective endpoints determine the measure of longevity and vitality.

The first is the length of our telomeres, or the ends of the chromosomes. Shorter telomeres are associated with a shorter lifespan, while longer telomeres indicate a longer lifespan.

Second is the number of mitochondria per cell and how well those mitochondria produce cellular energy. Lower numbers of dysfunctional mitochondria are associated with all agerelated chronic diseases.

Third, is the ability of our own stem cells to mobilize to repair and replace dysfunctional cells.

Fascinatingly, nitric oxide is the molecule that controls and regulates all three of those objective readouts of longevity. Nitric oxide prevents our telomeres from getting shorter, induces mitochondrial biogenesis, and improves the efficiency of energy production in each mitochondrion. It is the signal that tells our own stem cells to mobilize and differentiate so they can repair and replace dysfunctional cells.

Suppose you lose the ability to produce sufficient nitric oxide. In that case, you will develop shorter telomeres and mitochondrial dysfunction, which prevents you from repairing or replacing cells, making it difficult for you to recover from injury and develop diseases. Nitric oxide is the Holy Grail of longevity.

HOW IS IT PRODUCED IN THE BODY?

There are two primary pathways for nitric oxide production. The first to be discovered was by the enzyme nitric oxide synthase (NOS). This enzyme is found in most cells in the body and, through a 5-electron multi-step oxidation reaction, converts L-arginine into nitric oxide, with L-citrulline as a by-product of the reaction. This enzymatic reaction requires eight different cofactors and substrates, as well as the NOS enzyme, to be functional.

The second pathway is through our diet, requiring specific oral bacteria and stomach acid production. This is a reductive pathway whereby inorganic nitrate, found commonly in green leafy vegetables, is intentionally concentrated in our salivary glands about 90 minutes after consuming a meal. It is then secreted in our saliva to be metabolized by oral nitrate, reducing bacteria to produce nitrite. Now, the saliva is enriched in nitrite, and once it is swallowed, it enters the acidic environment of the stomach, where nitric oxide gas is produced. For this pathway to be fully optimized, we must consume sufficient nitrate in our diet, we must have the right oral bacteria, and our stomach must be acidic.

ONCE IT IS PRODUCED, WHAT DOES IT DO, AND WHAT HAPPENS AS IT IS METABOLIZED?

Once nitric oxide gas is produced, it can diffuse in three dimensions. It reacts primarily with heme proteins, such as soluble guanylyl cyclase, in the smooth muscle that surrounds our blood vessels. This activation by nitric oxide leads to the production of the second messenger cyclic guanosine monophosphate (cGMP), which in turn activates several downstream signaling cascades. Nitric oxide can also react with hemoglobin in the lumen of the blood vessel to form inorganic nitrate (the same nitrate found in vegetables).

Nitric oxide can also be oxidized to nitrite, where it is transported throughout the entire body. Other metabolites of nitric oxide can bind to cysteine thiols on proteins or glutathione and be transported throughout the body. Nitric oxide acts as an autocrine, paracrine, and endocrine signaling molecule, meaning it can signal in the cell in which it is produced, in a neighboring cell, or be transported systemically, similar to other hormones.

WHAT LEADS TO A LOSS OF ENZYMATIC NITRIC OXIDE PRODUCTION (ENDOTHELIAL DYSFUNCTION)?

When the NOS enzyme becomes uncoupled, it can no longer produce nitric oxide from L-arginine. This uncoupling is due to oxidative stress. An uncoupled NOS produces superoxide, an oxygen radical that leads to more oxidative stress. When the NOS enzyme can no longer produce nitric oxide when activated, we call this endothelial dysfunction. Exercise can no longer stimulate nitric oxide production. Nasal breathing can no longer lead to nitric oxide production since the enzyme is no longer active.

Anything that leads to increased oxidative stress, such as a poor diet, smoking, excessive consumption of sugar and carbohydrates, exposure to infections or environmental toxins, and heavy metal exposure (including mercury, lead, aluminum, or other redox-active metals), will lead to NOS uncoupling and a loss of nitric oxide production. Deficiencies in magnesium, iron, and sulfur-containing compounds, as well as poor oxygen saturation and delivery, will also lead to a loss of nitric oxide production.

HOW DO DIET AND NUTRITION AFFECT NITRIC OXIDE PRODUCTION?

Based on what we know about the mechanism of how nitrate from our diet is metabolized into nitrite and nitric oxide, several steps in the process must be met. First, we must consume enough nitrate in our diet—at least 300-400 mg—in a single serving. Most Americans do not consume sufficient nitrates and, therefore, do not generate enough nitric oxide through this pathway. Furthermore, many Americans overconsume sugar and simple carbohydrates, which leads to oxidative stress, further leading to endothelial dysfunction, and shutting down nitric oxide from the other pathway. Therefore, diet can completely affect and shut down nitric oxide production from both pathways, and is likely the most crucial factor in nitric oxide production.

HOW IS THE ORAL MICROBIOME INVOLVED IN THE PRODUCTION OF NITRIC OXIDE?

Nitrate from our diet is inert in humans, as we do not have a nitrate reductase gene. Oral nitrate, which reduces bacteria that live on the back of the tongue, performs this action instead. These bacteria utilize nitrate from our diet to respire and convert the nitrate to nitrite. Without these bacteria, nitrate from our diet is excreted unchanged in the urine, feces, and sweat. We have found that people with the least diverse oral microbiome have fewer nitrate-reducing bacteria and tend to have higher blood pressure. A healthy oral microbiome is associated with higher nitric oxide production.

DO CERTAIN ORAL HYGIENE PRACTICES AFFECT NITRIC OXIDE PRODUCTION?

Due to the necessity of oral bacteria in producing nitric oxide from the nitrate found in our diet, anything that destroys the oral microbiome disrupts and inhibits nitric oxide production. We, and others, have published that the use of antiseptic mouthwash kills most of the oral bacteria, including the good bacteria, and thus disrupts nitric oxide production, leading to an increase in blood pressure. Additionally, fluoride is an antiseptic, so all fluoride toothpastes destroy the oral microbiome and shut down nitric oxide production. A healthy microbiome is dependent upon a balanced salivary pH— people who have an acidic saliva experience oral dysbiosis and a deficiency in nitric oxide production.

ARE THERE CERTAIN DRUG THERAPIES THAT CAN LEAD TO A LOSS OF NITRIC OXIDE PRODUCTION?

Any drugs that cause oxidative stress, destroy the microbiome, or inhibit stomach acid production can lead to a loss of nitric oxide production. The most obvious drug therapy is antibiotics and antacids. Antibiotics obviously kill harmful bacteria, but they can also disrupt the non-pathogenic commensal bacteria. Antacids, specifically proton pump inhibitors (PPIs), completely shut down nitric oxide production from the NOS enzyme and from the nitratenitrite-nitric oxide pathway.

There is clear clinical data now that shows people who have taken PPIs for 3-5 years have a 30-40% increase in heart attacks, strokes, and Alzheimer's disease. These drugs shut down nitric oxide production, decrease circulation, cause insulin resistance, decrease nutrient absorption, and cause chronic disease. Methylene blue is another medication that completely inhibits nitric oxide production and signaling and should only be used as needed for treatment; it should never be used prophylactically.

WHAT IS THE GREATEST THREAT TO THE ADVANCEMENT OF THE NITRIC OXIDE FIELD?

In my opinion, the biggest threat to the advancement of the nitric oxide field is products marketed as nitric oxide supplements that do not, cannot, and will not provide any nitric oxide benefits. There are now hundreds of companies trying to exploit the growing popularity of nitric oxide and create products in this category. Most of these companies lack a comprehensive understanding of nitric oxide biochemistry, enzymology, and the processes required to produce nitric oxide in the human body. I hear people all the time report to me that they have taken “nitric oxide” in the past, but that they did not get any benefit or response from those products. Now, their interpretation is that nitric oxide is not essential or does not work for them.

The truth is that those companies and their bogus products failed them. If you provide nitric oxide to the human body or restore its natural production, the body will always respond, and people get better. There are companies out there, with absolutely no scientific backing, that throw in dozens of different ingredients and call their product a nitric oxide

product. This is a dangerous, disingenuous, and deceptive trade practice. Nitric oxide biochemistry is complex, and companies that do not understand the science have no business selling such products.

HOW DO CONSUMERS AND PHYSICIANS FIND A NITRIC OXIDE PRODUCT THAT ACTUALLY WORKS?

They should look for products developed by real scientists who have actually published research in the nitric oxide field. Suppose the company or its scientific advisory board is not found on PubMed and has not published any original research on nitric oxide. In that case, there is a good chance their products will not meet the standard of excellence I have established in the field. Look for “nitriceuticals”, which is a term I coined years ago that represents products that actually produce nitric oxide gas. If your body has lost the ability to produce nitric oxide, then we must provide this gas to you in another way. That’s exactly what my products are designed to do. You can explore them at www.n1o1.com and learn more about our mission and research at www.bryantherapeutics. com

Furthermore, because I understand the mechanisms of production in the human body, my products repair and restore the function of the NOS enzyme, helping to restore the oral microbiome, so your body can produce nitric oxide on its own. It is not enough to give L-arginine, L-citrulline, or nitrate-based products. The problem for most people who are nitric oxide deficient is that they have lost the ability to utilize those components to produce nitric oxide.

WHAT DO YOU ENVISION AS THE FUTURE OF MEDICINE AND THE ROLE OF NITRIC OXIDE?

The future of medicine is absolutely dependent upon safe and effective nitric oxide products and drug technology. All chronic disease is associated with loss of blood flow regulation, inflammation, oxidative stress, and immune dysfunction. Restoration of nitric oxide corrects all four of these conditions. The body cannot and will not heal or perform at its best without sufficient nitric oxide production.

My company is developing nitric oxide drug therapy for several human diseases, including heart disease and

Alzheimer's Disease. We also have a topical nitric oxide drug for diabetic ulcers and non-healing wounds. These drugs will revolutionize human health and improve the lives of patients all around the world.

WHAT IS YOUR PRIMARY MOTIVATION OR INSPIRATION TO DO WHAT YOU DO?

I am motivated by the millions of lives we have changed over the past decade with my nitric oxide product technology. It started with saving my dad’s life. As a paraplegic, he was also battling diabetes, high blood pressure, and ulcers that refused to heal. By utilizing my nitric oxide products, we were able to get his blood pressure and diabetes under control. My topical nitric oxide was able to help heal a 4-year-old, non-healing wound that had become infected and life-threatening.

I recall my original conversation with Dr. Lou Ignarro, where he told me that if we could figure out how to restore nitric oxide production in humans, we would change the world. Well, we figured it out, and we are certainly changing the world. I have the pleasure of waking up every day to emails, voicemails, and texts from people whose lives have been positively changed after taking our products. There is no greater motivation or inspiration than seeing people's lives changed and saved.

WHAT ARE THE VISION OR GOALS OF YOUR COMPANY?

Our vision is very clear; we aim to be the leader in nitric oxide products and drug therapy technology. Our goals are to continue innovating and providing safe, effective products that deliver nitric oxide gas and help restore the body’s ability to produce nitric oxide naturally. One of our current goals is to provide nitric oxide products in every major market segment around the world, and we have accomplished this with our dietary supplements. We also have a nitric oxide line of products in skin care and beauty, and we recently launched a nitric oxide and microbiome-friendly toothpaste. This is the first, and only, toothpaste that helps restore the production of nitric oxide. Additionally, we have a nitric oxide-friendly mouth rinse that targets the mouth microbiome to enhance the natural production of nitric oxide, which will be launching in a few weeks.

We are currently developing a line of pet and equestrian

nitric oxide products to enhance the health of our pets and the performance of race horses and other performance horses. We have drugs going into phase three clinical trials through the FDA. We expect to be one of the most successful companies on the planet by addressing an enormous unmet need in health and longevity. We know the science of nitric oxide, we understand how the body produces nitric oxide, and we have product technology that provides nitric oxide and restores it to natural production. There is really no way for this not to change the world. We have come a long way, but we still have a lot to accomplish. However, there is nothing that will stop us now. We have a mission, and we are right on target.

Learn more about N1O1 at www.n1o1.com, and discover the science and research behind these products at www. bryantherapeutics.com.

ABOUT MICHELE HUGHES

Michele Hughes is the visionary founder of Ageless and Timeless and the dynamic host of the Ageless and Timeless podcast. As a monthly contributor to TopDoctor Magazine, she offers powerful insights on wellness, longevity, and living fully at every stage of life. With a deep passion for health, vitality, and a role model for timeless elegance, Michele empowers audiences to embrace their highest potential and live with purpose and grace. Michele's podcast, Ageless and Timeless, was one of 20 Inaugural Podcasts selected for the Muscle and Fitness Plus platform that began in 2023.

For more information, please reach out to express interest in being a potential guest on the Ageless and Timeless podcast or to be featured in the TopDoctor Magazine Ageless and Timeless column with Michele Hughes. For podcast collaborations or to have Michele Hughes on your show, please contact her at:

Email: themichelehughescompany@gmail.com

Website: www.agelessandtimeless.com

Instagram: @agelessandimeless

LinkedIn: https://www.linkedin.com/in/michele-hughes83a3b935/

Facebook: https://www.facebook.com/michele.hughes.186 Ageless and Timeless podcast, on YouTube, iTunes, Spotify, and wherever podcasts are available.

At-home health tests

Total Cholesterol Self-test. Know your cholesterol levels in 2 minutes.

FSH Self-test. Provides insights into perimenopause or menopause in 3 minutes.

Fecal Occult Blood

FIT Self-test. Detects human occult blood in feces to aid in the diagnosis of colorectal cancer in 5 minutes.

REFERENCES AND RESOURCES

HARNESSING THE POWER OF C60: AN INTERVIEW WITH JESS MACNAUGHTON, CEO OF C60 POWER

1. To learn more about C60 Power and how it may help you reclaim your energy and live with purpose, visit their website at https://shopc60.com/.

TRUST YOUR GUT: HOW NUDORA IS REDEFINING PROBIOTICS

1. To learn more about Nudora’s mission and product line, visit https://nudora.com/pages/why-nudora. A LEGACY OF HOLISTIC HEALING: DR.

CONDITIONS AND PAIN MANAGEMENT

1. Learn more about Dr. Baldwin’s approach and how Arizona Valley Acupuncture is redefining care at www.azvalleyacu.com.

DR. MATTHEW HUFF: A DENTIST'S JOURNEY FROM WYOMING TO THE CUTTING EDGE OF TECHNOLOGY

1. Take the first step toward your perfect smile. Explore Dr. Huff’s services at https://kerrvilledentistry. com/.

OSTEOPOROSIS & BONE DENSITY: WHAT YOU NEED TO KNOW AS YOU AGE

You can find more from Evelyn through her website or social media channels:

1. Website: EvelynFlaharty.com

2. YouTube: Evelyn Flaharty

3. YouTube: Workouts With Evelyn Flaharty

4. Instagram: ffmusclesandcurves

5. TikTok: @evelynifbbpro

6. Facebook: Evelyn Flaharty

DR. CAROLINE STITES' PIONEERING APPROACH TO FREQUENCY MEDICINE IGNITES A NEW ERA OF WELLNESS

1. Discover the Power of Vibrational Healing. Explore Dr. Stites’ groundbreaking technology designed to restore balance and wellness. Learn more at Vibragenix.com.

DR. NATHAN S. BRYAN ON NITRIC OXIDE: THE LIFESAVING SUPPLEMENT TO ADD TO YOUR REGIMEN

Learn more about N1O1 at www.n1o1.com, and discover the science and research behind these products at www.bryantherapeutics.com

For more information, please reach out to express interest in being a potential guest on the Ageless and Timeless podcast or to be featured in the Top Doctor Magazine Ageless and Timeless column with Michele Hughes. For podcast collaborations or to have Michele Hughes on your show, please contact her at:

1. Email: themichelehughescompany@gmail.com

2. Website: www.agelessandtimeless.com

3. Instagram: @agelessandimeless

4. LinkedIn: https://www.linkedin.com/in/michele-hughes-83a3b935/

5. Facebook: https://www.facebook.com/michele.hughes.186

6. Ageless and Timeless podcast, on YouTube, iTunes, Spotify, and wherever podcasts are available.

“L arge Study Links Gum Disease With Dementia”

“Periodontal disease may increase the risk of diabetes& heart disease”

“More

Evidence of Link Between Severe Gum Disease and Cancer Risk”

Clinically Proven to Reduce Biofilm 112x Better Than Brushing Alone

Inflammation in the mouth can affect the rest of the body Heart disease, Alzheimer's, pancreatic cancer and many more diseases are linked to gum disease To fight gum disease, you must fight biofilm (dental plaque) and with up to 70% of adults having some form of gum disease, brushing and flossing are not enough OraCare has been clinically proven to remove biofilm 112x better than brushing alone.

Turn static files into dynamic content formats.

Create a flipbook
Issuu converts static files into: digital portfolios, online yearbooks, online catalogs, digital photo albums and more. Sign up and create your flipbook.