SPECIAL ISSUE
| Dr.Ted Emanuel
IMMUNOTEC®: EMPOWERING HEALTH THROUGH THE SCIENCE OF GLUTATHIONE PG 42 DR. TED EMANUEL: A LIFE DEDICATED TO HOLISTIC HEALTH AND EMPOWERMENT PG 32



![]()
| Dr.Ted Emanuel
IMMUNOTEC®: EMPOWERING HEALTH THROUGH THE SCIENCE OF GLUTATHIONE PG 42 DR. TED EMANUEL: A LIFE DEDICATED TO HOLISTIC HEALTH AND EMPOWERMENT PG 32



Our mission and purpose at TopDoctor Magazine is to foster connections within the health and wellness community and empower our readers to make well-informed healthcare and lifestyle decisions. We pride ourselves on being the ultimate resource for interviews with health and wellness leaders, trending medical news, and healthy living topics.
We understand that choosing a healthcare provider is a crucial decision. Our in-depth interviews with esteemed doctors and medical professionals aim to bridge the gap between them and their clients. By providing our readers with personal insights, philosophies, and areas of expertise, we facilitate a deeper understanding of the individualsresponsible for your health and well-being. We also strive to highlight our outstanding practitioners, showcasing their dedication to their patients and contributions to the medical community.
The field of medicine is constantly evolving, with new practices, therapies, and technologies emerging at a rapid pace. At TopDoctor Magazine, we strive to keep you updated on the latest advancements in the medical world. Our comprehensive coverage of trending medical news equips both doctors and patients with the knowledge they need to make informed choices about healthcare options.
Building strong connections within the medical community is essential for enhancing patient care and driving medical progress. Our magazine serves as a bridge, connecting medical companies with doctors and vice versa. By facilitating these connections, we aim to catalyze collaborations that can lead to innovative solutions and improved healthcare outcomes for everyone.
It is our firm belief that well-informed individuals make better decisions about their health. By providing you with insights into established and emerging medical trends and technologies, we empower you to take an active role in your healthcare choices.
Whether you are a healthcare professional seeking to stay updated on the latest advancements or a patient eager to make informed decisions about your well-being, TopDoctor Magazine is here to support you.
In every issue, we strive to uphold the highest standards of journalistic integrity, accuracy, and relevance. Our dedicated team of writers, editors, and medical experts work tirelessly to bring you well-researched and compelling content that is both educational and engaging. Moreover, our graphic design team is committed to delivering an aesthetically pleasing reading experience where captivating design seamlessly merges with informative content, ensuring each issue becomes an engaging journey of discovery.
As we embark on this mission to serve as your trusted source of medical information and insights, we encourage you to join us on this exciting journey. Your feedback and suggestions are invaluable to us, and we look forward to hearing from you.
Thank you for being a part of the TopDoctor Magazine community. Together, let us embrace knowledge, forge connections, and make informed decisions to lead healthier lives.
With warmest regards,
Hannah H. Editor in Chief TopDoctor Magazine

Publisher: John Highland
Editor In Chief: Hannah H.
Graphic Designers: Laura Poyner, Dylan R-N
Contributing Authors: Evelyn Flaharty, Riley George, James Spencer, Deborah Squibb
Vice President of Development: Mark Carvalho
Business Director: Rob Fletcher
Fractional Marketing Officer: Craig Handley
Advisory Board: Dr. Ken Davis


Immune health is complex but its significance continues to grow. Companies that truly impact this space must provide unique value with precision. And no one is better suited for this mission than Immunotec. We recognize the pivotal role Glutathione plays not just for immune health but overall well-being.”
Mauricio Domenzain, CEO Immunotec





Wild caught by hand. Delivered to your Wild caught by hand. Delivered to your door. Ready to steal the show. door. Ready to steal the show.
When it comes to dinner, subtlety has its place. When it comes to dinner, subtlety has its place.
This is not that place.
This is not that place.
This is the kind of lobster tail that earns silence at the
This is the kind of lobster tail that earns silence at the table followed by applause. table followed by applause.
Caught by hand off the coast of the Nor th Atlantic.
Caught by hand off the coast of the Nor th Atlantic. Flash-frozen the day it's landed. Flash-frozen the day it's landed.




By Evelyn Flaharty
When it comes to skincare, it’s easy to get lost in the multitude of products in the market, the trends, and the complicated routines. From serums to exfoliants to 10-step regimens, you may have seen influencers posting on social media, which can feel overwhelming. But the truth is, great skin doesn’t have to be complicated. In fact, the secret to healthy, glowing skin is more straightforward than you think; it’s all about nourishment, listening to what your skin needs, and consistency in your skincare routine.
Skincare is more than just a routine. Skincare is an investment in your health, confidence, and overall well-being. Our skin is the body’s largest organ and serves as a protective barrier against the elements while also reflecting our inner health and lifestyle choices. From hydration and nutrition to the right products and daily habits, caring for your skin is a journey that evolves with time.
Whether you are aiming for a radiant glow, maintaining youthful elasticity, or simply embracing self-care, a smart and effective skincare routine can make all the difference. Understanding what your skin needs and treating it with intention can unlock the secret to a healthy, ageless complexion.
Your skin is constantly communicating with you. When it feels tight and flaky, it’s crying out for moisture. When it’s breaking out, it might be reacting to stress, diet, or an imbalance in your routine. It could be asking for more hydration, exfoliation, or a little extra sleep when it looks dull. The key is to pay attention and then take the appropriate action.
Caring for your skin at home doesn’t have to be complicated or expensive. Maintaining a consistent at-home skincare routine is key to keeping your skin healthy, youthful, and radiant. You don’t need a bathroom full of fancy or expensive products; just a few basic steps to be consistent with your skincare routine. A skincare routine can be simple and effective without feeling overwhelming. Sticking to a few essential steps can make a huge difference in your skin’s health. The best place to start is with the basics.
The first and most crucial step is cleansing. Washing your face is the foundation of skincare. Cleansing removes dirt, oil, sweat, makeup, and pollutants that can clog pores and cause breakouts. Use a gentle cleanser that suits your skin type, and avoid products that can strip your skin of its natural moisture and lead to dryness and irritation.
Hydration is key for all skin types. Even oily skin needs moisture to stay balanced. A good moisturizer helps lock in hydration and maintain your skin’s barrier. Moisturizer keeps your skin soft and smooth while protecting you from premature aging. This is where I would make an investment. Find a good moisturizer that works well for your skin type. Look for ingredients like hyaluronic acid for hydration or ceramides for barrier support.
Protection
Sunscreen is often overlooked, but it is the most crucial step in preventing premature aging. Think of it as the most powerful anti-aging product you can use daily. UV exposure leads to premature fine lines and wrinkles, dark spots, loss of elasticity, and even more serious skin conditions. Apply an SPF of at least 30 every morning, even on cloudy days, to protect your skin from damage. Applying sunscreen is a must for all skin complexions.
Once you have the essentials down, you can add a few extra steps to target specific skin concerns.
Exfoliation:
Removing dead skin cells helps brighten your complexion and allows skincare products to work better. Use a gentle exfoliant 2-3 times weekly, like a mild chemical exfoliant or a soft scrub.
Serums:
If you have concerns like dryness, wrinkles, or dark spots, serums with ingredients like vitamin C, retinol, or niacinamide can help. Serums penetrate deeper than moisturizers and deliver targeted benefits.
Face Masks:
A great way to give your skin an extra boost. Hydrating masks, clay masks, or sheet masks can be used weekly to address different concerns like dryness, oiliness, or dullness.


A few minutes of gentle massage while applying products can boost circulation, reduce puffiness, and promote a natural glow.
Despite all the hype around elaborate skincare routines, the fundamentals of healthy skin have always remained the same. A simple, consistent routine will always be more effective than an overloaded one.
Skincare isn’t just about what you apply to your face; it’s also about how you take care of yourself. Your skin reflects your overall health, so the choices you make in your daily life can have a significant impact. While using the right skincare products is essential, what you put into your body matters just as much.
Hydration and nutrition are crucial in maintaining healthy, glowing skin from the inside out. While skincare products help nourish and protect your skin externally, proper hydration and a nutrientrich diet provide the essential building blocks your skin needs to repair, regenerate, and maintain its natural glow.
Water is essential for every cell in your body, including those that make up your skin. When your skin is well-hydrated, it looks plumper and more radiant. On the other hand, when your skin is dehydrated, it will appear dull, dry, and more prone to fine lines and wrinkles. Drinking enough water throughout the day helps flush out toxins, maintain elasticity, and support overall skin function.
Your diet also plays an essential role in the health and appearance of your skin. Nutrient-rich foods provide the vitamins, minerals, and antioxidants necessary to fight inflammation, boost collagen production, and protect
against premature aging. Foods high in omega-3 fatty acids like salmon, walnuts, and flaxseeds help strengthen the skin barrier and reduce dryness. Vitamin C-rich foods like oranges, strawberries, and bell peppers promote collagen synthesis, keeping skin firm and youthful.
Antioxidants found in leafy greens, berries, and green tea help combat free radical damage, which can contribute to wrinkles and dullness. On the other hand, excessive consumption of processed foods, refined sugars, and unhealthy fats can lead to inflammation and breakouts and give your complexion a dull, uneven appearance. Focusing on a balanced diet filled with whole, nutrient-dense foods can support your skin’s natural ability to heal and maintain a radiant glow.
Your skin repairs itself while you sleep. During deep sleep, your body goes through a period of repair and regeneration, producing collagen, repairing damaged cells, and replenishing moisture levels. A lack of sleep can lead to increased cortisol levels, which can break down collagen and elastin, leading to premature aging, dullness, and even breakouts. Dark circles, puffiness, and a dull complexion are common signs that your skin isn’t getting a good night’s rest. This is why you should strive for 7-9 hours of quality sleep each night.
Lack of sleep isn’t the only thing you need to worry about. Managing stress is just as crucial for your skin’s health. Chronic stress triggers inflammation and increases oil production, which can contribute to acne, redness, and sensitivity. High stress levels also weaken the skin’s barrier, making it more prone to dehydration and environmental damage.
Finding ways to relax can help balance stress hormones and improve overall skin clarity. Relaxation techniques such as meditation, deep breathing, and yoga can help reduce stress and promote overall well-being. Additionally, activities like taking long walks, exercising, engaging in a hobby, or practicing mindfulness can positively impact both your mental health and the appearance of your skin.
By prioritizing rest and stress management, you’re giving your skin the best environment to heal, restore, and maintain its natural radiance.
Great skin doesn’t happen overnight; it’s the result of small, daily habits that add up over time. As with everything else, the key to seeing real results is consistency. Even the best products won’t work if they are only used occasionally. Sticking to a simple but effective daily routine will keep your skin looking and feeling its best.
There are ways to enhance your at-home skincare routine. One option is to get a professional facial from a qualified esthetician who can assess your skin’s needs, provide expert care, and even recommend products specific to your skin type. Professional facials offer deep cleansing, exfoliation, and hydration that go beyond what everyday products can achieve. They can help address concerns like acne, dryness, or signs of aging while promoting overall skin health. Regular treatments, combined with a consistent daily routine, can keep your skin looking its best.
For many, facials are seen as an occasional indulgence, something to treat yourself to before a big event or as part of a spa day. The truth is, professional facials are much more than just a luxury. A professional facial can offer deep, long-term benefits for your skin that go beyond what you can achieve with your at-home routine. It also complements the care you already give your skin, enhancing and supporting your efforts for even better results. Regular facials can help improve skin health, prevent aging, and enhance your overall well-being.
Even with a consistent skincare routine, dirt, oil, and environmental pollutants can build up deep in your pores over time. Professional facials offer a deeper level of cleansing beyond what you can do at home, similar to how a professional dental cleaning provides a deeper clean than daily brushing and flossing.
Estheticians use specialized products and techniques to remove impurities, unclog pores, and eliminate toxins, helping your skin breathe and function optimally. This deep cleansing process can prevent breakouts, reduce blackheads, and give your skin a fresher, healthier appearance.
One of the most significant benefits of facials is professional exfoliation. Over time, dead skin cells build up on the surface of your skin, leading to a dull, uneven complexion. While athome exfoliators help, professional treatments use advanced techniques like chemical peels, microdermabrasion, or enzyme treatments to gently remove dead skin cells, revealing brighter, smoother skin underneath. Regular exfoliation also helps improve the effectiveness of your skincare products, allowing serums and moisturizers to penetrate more deeply.
Keeping your skin hydrated enhances its appearance, strengthens its ability to withstand environmental damage, and slows down signs of aging. When your skin is hydrated, it looks youthful, plump, and radiant.
During a facial, estheticians use high-quality masks, serums, and moisturizers tailored to your skin type to hydrate and replenish your skin deeply. Professional treatments can help restore moisture balance, especially for those with flaky or dehydrated skin. One popular type of facial is the HydraFacial.
A HydraFacial is a non-invasive skincare treatment that deeply cleanses, exfoliates, hydrates, and nourishes the skin in one session. It uses a specialized device with a vacuum-like tip to remove dead skin cells, extract impurities, and infuse the skin with hydrating and antioxidant-rich serums. Alternating professional facials between anti-aging treatments and a HydraFacial for balanced skincare benefits is a great approach. In my experience, a 2-to-1 ratio works best for my oily, mature skin.

Facials can be an excellent tool for maintaining youthful skin and preventing premature aging. Many professional treatments incorporate anti-aging techniques such as collagenboosting massages, peptides, LED light therapy, or microcurrent stimulation, which help improve skin elasticity and reduce the appearance of fine lines and wrinkles. Additionally, regular facials stimulate blood circulation, promoting cell regeneration and keeping your skin fresh and firm over time.
Skincare is not just about physical appearance; it’s also about well-being. The gentle massage techniques used during facials help relax facial muscles, release tension, and even promote lymphatic drainage, reducing puffiness and improving circulation. The experience itself is incredibly soothing, making facials a great way to relieve stress and practice self-care. Taking time for a facial can be a moment of relaxation in a busy world, benefiting your skin and mental health. You’ll feel refreshed and rejuvenated afterward.
One of the best things about professional facials is that they are tailored to your specific skin concerns. Unlike store-bought products that take a one-size-fits-all approach, estheticians analyze your skin and customize treatments based on its unique needs, whether acne, dryness, sensitivity, or signs of aging. They can also provide expert advice on which products and routines will work best for your skin type, helping you build an effective at-home routine.

While a single facial can leave your skin looking and feeling amazing, the real benefits come from consistency. Regular facials, ideally once a month, can help maintain skin health, prevent common issues like breakouts and dullness, and support long-term anti-aging efforts. Over time, you’ll notice improved texture, better hydration, and a more youthful glow.
Professional facials aren’t just about pampering; they’re a powerful tool for maintaining healthy, glowing skin. From deep cleansing and exfoliation to hydration and anti-aging benefits, facials provide results that go beyond what you can achieve with at-home skincare alone. Plus, the relaxation and stress relief that come with a facial make it an investment in your skin and overall well-being. If you’re looking to take your skincare to the next level, regular professional facials are a worthwhile addition to your beauty routine.
But skincare isn’t one-size-fits-all. Our skin changes over time due to age, environment, and lifestyle, meaning that what worked in the past may not be what your skin needs today. The key is tuning in, understanding what your skin craves, and giving it the love and attention it deserves. When you care for your skin, you’re not just enhancing your outer glow but investing in long-term health and confidence.
Skincare isn’t just about looking good. It’s also about feeling good. Our skin works hard for us every single day, protecting us against the elements and reflecting our overall health and lifestyle. It also reflects what’s happening inside our bodies, from hydration levels to overall health and well-being.
That’s why taking care of it isn’t just another step in your daily routine. It’s a way to invest in yourself! It’s self-love. Proper skincare habits can do more than just enhance your appearance. It can boost your confidence, promote relaxation, and even serve as a form of self-care.
The right habits and products can make all the difference. Whether you are aiming for a radiant glow, trying to keep your skin youthful and healthy, or simply taking a few moments to pamper yourself, a thoughtful skincare routine makes all the difference.
The secret to beautiful skin isn’t found in expensive treatments or endless products; it’s found in simple, consistent care and a little bit of self-love. There’s no one-size-fits-all approach, and your skin’s needs may change over time.
The key is to stay patient, listen to your skin, and give it the care it deserves. When you focus on maintaining healthy habits, both inside and out, your skin will naturally reflect that effort. And remember, skincare isn’t about perfection; it’s about embracing and taking care of the skin you’re in.


Huntington Valley Healthcare Center (HVHC), nestled in the heart of Huntington Beach, California, has long been recognized for its commitment to exceptional patient care. Under the leadership of Administrator Andrew Stephenson, the facility has embraced a suite of innovative technologies designed to enhance patient outcomes and elevate the standard of care.
This journey toward innovation took an exciting turn when Stephenson met Mark Carvalho, Vice President of Development for Top Doctor Magazine, and a Veteran receiving care at HVHC. Their shared passion for discovering and implementing new healthcare solutions forged an immediate connection. As a stroke patient himself, Carvalho has firsthand experience with the challenges patients face in rehabilitation. Together, he and Stephenson have been working to identify and introduce cutting-edge technologies that improve care— not only for Carvalho but for all patients at HVHC.
Learn more as we delve into four key innovations at HVHC— Circadia, Myndful Care, Ultramist Wound Healing, and the Sensory Integration Room—exploring each technology’s application and the tangible benefits they offer to patients.
In the realm of healthcare, continuous and accurate patient monitoring is paramount. Circadia addresses this need by offering a contactless monitoring system that tracks vital signs such as respiratory rate, heart rate, bed exits, and motion, without the need for wearable devices. Utilizing advanced radar technology, Circadia provides real-time data, enabling healthcare professionals to detect early signs of deterioration and intervene promptly.
At HVHC, the integration of Circadia has transformed patient monitoring practices. The system’s ability to continuously monitor patients without physical contact is particularly beneficial in a skilled nursing facility where patients may have varying mobility and cognitive function levels. By detecting subtle changes in vital signs, Circadia aids in the early identification of conditions such as respiratory infections or cardiac events, allowing for timely medical interventions.
Stephenson recalls how he and Carvalho bonded over the need for real-time patient monitoring. “Mark understands, both as a healthcare leader and as a patient, the importance of proactive care. Circadia allows us to stay ahead of potential health issues, ensuring better outcomes for our residents.”



Huntington Valley Healthcare Center (HVHC) has introduced Myndfull Care, a mental health program that complements its physical rehabilitation services by focusing on brain health. Myndfull Care features Quantitative Electroencephalography (QEEG) Neurotherapy—a noninvasive, drug-free method that helps retrain the brain to function more effectively.
Using an FDA-cleared Dry Sensor Interface (DSI) headset, the therapy captures clean EEG signals from the brain without any skin preparation. The data is analyzed in real time to create a personalized neurofeedback program for each patient. Through repeated sessions, individuals develop better cognitive flexibility, leading to reduced stress and improvements in focus and mental processing.
Administrator Andrew Stephenson notes, “We have seen unthought-of outcomes for some of our patients that suffer from anxiety and other disorders and witnessed marked improvements in behaviors and moods.” Patients have also reported better sleep, increased motivation, and enhanced social interactions, all of which support their overall recovery and well-being.
Chronic wounds present significant challenges in healthcare, often leading to prolonged hospital stays and increased risk of complications. Ultramist Wound Healing technology offers a non-contact, low-frequency ultrasound treatment that promotes wound healing by reducing bacteria, enhancing blood flow, and stimulating tissue regeneration.
At HVHC, the adoption of Ultramist has revolutionized wound care protocols. The non-invasive nature of the treatment is particularly advantageous for patients with sensitive or painful wounds, as it minimizes discomfort while accelerating healing. By incorporating Ultramist into their wound care regimen, HVHC has observed improved healing rates and reduced wound-related complications.
Stephenson remarks on the impact of Ultramist: “Mark and I have had long discussions about the importance of wound care, especially for Veterans who may have unique medical
needs. Implementing Ultramist has allowed us to provide more effective and comfortable wound care, leading to faster recovery times for our patients.”
Sensory integration therapy is designed to help individuals process and respond to sensory information more effectively. HVHC’s Sensory Integration Room is equipped with various tools and activities that stimulate the senses, aiding patients in improving coordination, concentration, and emotional regulation.
The Sensory Integration Room at HVHC offers a controlled environment where patients can engage in activities tailored to their specific sensory processing needs. This therapeutic approach is particularly beneficial for patients with neurological conditions, cognitive impairments, or those recovering from strokes. Patients can enhance their motor skills, cognitive functions, and overall quality of life by participating in sensory integration therapy.
Carvalho, who has personally benefited from the Sensory Integration Room, speaks highly of its impact: “After my stroke, rebuilding coordination and cognitive function was a top priority. The Sensory Integration Room has been an incredible tool in my recovery, and I’ve seen how it’s also helping others regain independence.”
Huntington Valley Healthcare Center’s commitment to integrating innovative technologies like Circadia, Myndful Care, Ultramist Wound Healing, and the Sensory Integration Room exemplifies its dedication to providing comprehensive and patient-centered care. Through his collaboration with Mark Carvalho, Andrew Stephenson has further strengthened HVHC’s mission, leveraging Carvalho’s unique perspective as both a healthcare leader and patient to




enhance treatment strategies.
“Mark and I both believe that there is always room to improve patient care,” Stephenson says. “Our partnership has been about finding real solutions that make a tangible difference—not just for him, but for every patient who comes through our doors.”
Under Stephenson’s leadership, HVHC continues to set a high standard in the healthcare industry, ensuring that patients receive not only advanced medical treatments but also compassionate support tailored to their individual needs. With the ongoing collaboration between HVHC and passionate advocates like Carvalho, the future of healing looks brighter than ever.













1,500 PARTICIPANTS: HEALTH & WELLNESS EN
35+ TOP SPEAKERS: INTEGRATIVE MEDICINE D
35+ EXHIBITORS: LONGEVITY TECH & ECO-PRO
15+ EXPERIENCES: HEALING & SPIRITUAL PRA






Dr. Ted Emanuel's life is a testament to his unwavering dedication to holistic health, education, and community empowerment. From his early entrepreneurial ventures in Antigua to his current status as a globally recognized figure in natural health, his journey is marked by a deep commitment to understanding and nurturing the human body and spirit.

By Riley George
Born in Antigua, Dr. Ted Emanuel's entrepreneurial spirit was evident from a young age. At just 10 years old, he was already a "mixologist," crafting cough syrup for his village, a testament to his early interest in natural remedies. He also engaged in the trade of tamarind, which he described as looking "like a bean," selling them to England for soap production. This demonstrated an innate understanding of commerce and resourcefulness. His youth was further shaped by his care for his mother, whom he looked after until her passing at 82. This experience instilled in him a profound sense of responsibility and care.
Dr. Emanuel's journey into professional health began with a strategic vision for Antigua's burgeoning tourism industry.
He pursued an education in cosmetology in Norristown, Pennsylvania, becoming a certified cosmetologist and later a teacher. His ambition led him to New York, where he honed his skills in prestigious salons, working with renowned figures like James Farabee and preparing models for iconic magazines such as Vogue and Essence under the direction of master photographer Francisco Scavullo. This period connected him with notable personalities, including Aretha Franklin and "The Jeffersons' show lady," Isabel Sanford, as well as Stevie Wonder's mother.
Armed with this expertise, Dr. Emanuel returned to Pennsylvania to open his own successful salon and spa before eventually returning to Antigua. There, he established a health center and even attempted to open the largest spa on the island with the late Dr. George Merkl, known for his discovery of "life crystals" and Chondriana. Though the large-scale spa didn't materialize, Dr. Emanuel's involvement with Dr. Merkl's groundbreaking work exposed him to the cutting edge of natural science, laying the groundwork for his later profound experience with Immunocal, a natural supplement proven through years of medical testing to raise cellular glutathione.
Emanuel's return to the Caribbean, specifically, Jamaica, was driven by a desire to reconnect with his heritage and contribute to the well-being of the Jamaican people.
"Jamaica is a lovely place with wonderful, loving people," he affirmed.
With family roots in Saint Thomas and a connection to the Chinese Mings family, he felt a deep bond to the island. His expertise in natural health quickly gained recognition after an appearance on a radio show hosted by Beverly Manley, then wife of Prime Minister Michael Manley. This connection led to widespread invitations to share his knowledge across the island.
His commitment to education then led him to China, where a university invited him to share his knowledge on obesity, cancer, and endometriosis. He is particularly proud to be one of the few non-medical doctors China has sought for medical assistance.
"I am one of the 1st and very few non-medical, holistic doctors that China has ever asked for medical assistance," he stated.
His upcoming book, "Return to China, My Journey," will document these experiences and the strong relationship between Jamaica and China.
"Health
education has to start from the womb in order to foster healthier future generations,"
Now, Ted Emanuel is embarking on his most ambitious educational endeavor: opening a school in Jamaica. He plans to offer 100 scholarships across the island, providing five scholarships to 20 different schools. The curriculum will cater to students aged 8 to 18, with a college program available for those aged 18 to 21. His core philosophy for this school centers on beginning health education "from the womb," emphasizing the importance of educating women before, during, and after pregnancy.
"Health education has to start from the womb in order to foster healthier future generations," he insisted.
He is currently writing a manual for pediatricians globally to shift the focus from superficial observations of newborns to a deeper understanding of their health from conception.


Emanuel emphasizes that true health transformation requires a structured approach. He outlines a five-phase therapeutic program for his clients, with the initial and crucial step being detoxification, purification, and harmonization of red and white blood cells. He stressed the importance of understanding each individual's condition before recommending any treatment.
"Evaluation has to be spot on for any treatment to be fully effective," he asserted. This meticulous evaluation ensures the correct "tools" are used for optimal absorption and benefit. The second phase focuses on nourishing, strengthening, and producing new, healthy cells, utilizing elements such as chlorophyll, oxygen, and the correct production of saliva, which he notes comes in two types: one for carbohydrates and another for proteins. He strongly cautions against generalized health advice.
“It’s not helpful to just go around and tell a person to take a vitamin, or use a supplement, or take an herb. People tend to get on social media platforms like TikTok and YouTube and tell their viewers to mix sour soup leaves, fever grass bush, and tamarind leaves, and it will cure you of cancer, but it’s not universally true. They don’t take into account that everybody responds differently depending on their body composition, blood type, and so many other genetic factors. That’s why it’s so important to find the root cause and go from there," he shared.
He emphasized that understanding the body's specific needs and the behavior of the blood is paramount for true healing and rejuvenation. His unique techniques in this area have even impressed leading Chinese professors, who expressed a desire to study under him in Jamaica.
A pivotal moment in Dr. Emanuel's life was his own healing from a severely broken leg, despite doctors' prognoses that he might never fully heal.
"They told me I would never heal because of my age," he recounted. However, he experienced a remarkable recovery, attributing it to the consistent use of a natural supplement which has been medically proven to raise glutathione, referred to in science as our body’s most powerful healing agent. He calls Glutathione "a quiet powerhouse." Immunocal is one of the few supplements supported by clinical research to increase cellular glutathione effectively.
“Something happened when I started taking my glutathione enhancer. I started feeling and looking younger. My skin, my hair, my attitude; everything changed,” Dr. Emanuel said of his experience taking the Immunotec supplements, particularly Immunocal, a glutathione precursor.
His ability to do things he used to love, such as dancing with confidence again after being told he might not recover, became a powerful testament to the product's efficacy. This experience solidified his belief in the power of these supplements, leading him to recommend them not for profit, but based on validated personal experience and a desire to educate others.
Immunocal is not just a supplement—it’s a scientifically backed powerhouse for immune health. Your immune system is your strongest defense, and Immunocal is the key to unlocking its full potential. Developed through 40+ years of groundbreaking medical research, this natural formula is the work of three world-renowned experts in the field of immunology. They created a product that helps optimize immune function at its core by raising the level of glutathione in every one of your cells. Glutathione is your body’s most powerful healing agent.
Immunocal is different from all other proteins and natural supplements because it has:
85 published studies entered into respected medical journals
29 gold standard human studies published in medical journals
Listed in the USA MD’s PDR drug guide
Immunocal is manufactured in the USA under a very strict pharmaceutical-type environment. This is no ordinary supplement as it is a true medical breakthrough.
Dr. Ted Emanuel's extraordinary life journey culminates in a profound and multifaceted legacy dedicated to health, education, and community upliftment. From his beginnings as a youthful entrepreneur in Antigua to becoming a globally recognized authority in natural health, his trajectory is defined by an unwavering commitment to the well-being of others.
Dr. Emanuel's narrative is not simply one of personal achievement; it is a powerful testament to the efficacy of natural health principles when combined with rigorous education and a holistic approach to healthcare. His personal triumph over a debilitating injury, attributing his remarkable recovery to the power of Immunocal and other natural methods, serves as a compelling cornerstone of his philosophy. This experience transformed him from a practitioner into a living embodiment of the health and rejuvenation he champions, giving his recommendations an authenticity that transcends mere commercial interest.
Beyond personal triumph, Dr. Ted Emanuel's vision extends to societal transformation. His ambitious initiative to establish a school in Jamaica, offering 100 scholarships to empower the next generation, underscores his commitment to preventive health, starting from the earliest stages of life. His commitment to redefining pediatric health, literally "from the womb," highlights a groundbreaking approach that aims to cultivate a healthier population by educating expectant mothers and future parents. This forward-thinking perspective seeks to counteract the trends of early degeneration and chronic illness by instilling a foundational understanding of nutrition and well-being.
Moreover, his international collaborations, particularly with the medical community in China, demonstrate the universal applicability and respect his unique methodology commands. Being sought by a nation known for its deep-rooted traditional medicine, despite not being a medical doctor, speaks volumes about the innovative and effective nature of his five-phase therapeutic approach. This systematic process of detoxification, purification, and cellular regeneration is a testament to his comprehensive understanding of the human body's intricate systems.
In essence, Ted Emanuel is more than a natural health expert; he is a beacon of self-reliance, a tireless educator, and a compassionate advocate for a healthier humanity. His work, encapsulated in his numerous books and forthcoming publications, and amplified through his media presence and the tangible results seen in his clients, is a powerful call to action for individuals to take ownership of their health. His legacy will undoubtedly inspire generations to explore the profound potential of natural healing and to cultivate a deeper respect for the intricate connection between body, mind, and the environment.
Discover the powerful benefits of Immunocal, a science-backed Glutathione supplement that supports immune function, cellular repair, and overall vitality.
Order now through Dr. Ted Emanuel’s official Immunotec page: https://www.immunotec. com/en-US/drted/products
Phone: 1-876-864-2888 or (876) 754-8843
To explore a more holistic approach to wellness, visit drtedemanuel.com. For questions or personalized guidance, you can reach Dr. Emanuel directly by emailing him at tedemanuel@gmail.com.




From branding to SEO to social media, the NOA Firm crafts powerful strategies tailored to healthcare professionals. Led by Aaron Perez trusted by top doctors nationwide.

By Riley George
Immunotec stands as a beacon of scientific innovation in the health and wellness industry, driven by a profound understanding of the body's natural ability to heal and thrive. At the helm is CEO Mauricio Domenzain, whose leadership blends a passion for science and wellness with a unique emphasis on the power of happiness.
Since joining Immunotec in 2017, Domenzain has steered the company toward a future grounded in rigorous research and a commitment to transforming lives through its flagship product, Immunocal®, and a growing portfolio of scientifically-backed products.
“At Immunotec, we believe that the key to a successful future lies in sustained innovation, scientifically-backed advancements, and offering solutions designed to make a unique and lasting impact on people's lives," said Mauricio Domenzain.
Mauricio Domenzain’s leadership at Immunotec ushered in more than a new chapter—it introduced a bold vision where scientific innovation and personal well-being go hand in hand. He’s redefining success by linking scientific excellence with a culture of happiness and fulfillment for the Immunotec corporate team, its community, and customers.
"My journey in business has been shaped by a passion for helping others through science, wellness, and most importantly, the power of happiness," Domenzain articulated, immediately establishing a leadership style that prioritizes both measurable innovation and the intangible power of purpose and culture.
For Domenzain, the decision to lead Immunotec was a natural progression, a "perfect intersection of my skills and my values." While his foundational expertise lay in the realms of business and strategic leadership, he found new purpose in Immunocal®’s sciencebacked mission—where his passion for health and wellness could meaningfully impact more lives.


Domenzain saw the immune health space as a powerful, yet underleveraged, frontier— rich in complexity and capable of transforming lives at scale.
He’s steered Immunotec to operate with the precision of a biotech company, embedding scientific rigor into product development, education, and decision-making. But what sets his leadership apart is how he applies that same intentionality to people, ensuring both the corporate team and consultants feel empowered, supported, and part of something bigger.
Domenzain believes happiness is a strategic advantage and starts with a choice. This belief is woven into Immunotec’s culture, encouraging every individual to take ownership of their physical, mental, and financial health. It’s more than a philosophy; It’s a business model designed not just for success, but to empower people to build a legacy of fulfillment and joy.
By aligning credible science with a values-driven community, Immunotec is helping people live better and inspire others to do the same.
Domenzain believes a happy, engaged community doesn’t just drive success—it reaches more people. By blending scientific excellence with a culture of happiness, his leadership is helping Immunotec touch more lives, with the bold vision of getting one Immunocal® box into every household.
Immunotec’s approach to wellness is grounded in cellular science, with a mission to unlock “the body’s natural ability to achieve optimal health” as described by CEO Mauricio Domenzain.
The brand is built on three core pillars—Advanced Immune Health, Ageless Living, and Performance—each anchored in rigorous research and designed to help individuals live with more energy independently and with purpose.
At the heart of these pillars is the brand’s flagship product, Immunocal® — developed with 45+ years of research, backed by 92 clinical studies, and 79 global patents for its ability to raise glutathione levels naturally.
“Immunocal® helps optimize the body’s ability to fight oxidative stress and fortify the body’s natural immune defenses," Domenzain stated.
This is achieved through their patented Bonded Cysteine technology, which naturally enhances the body's production of glutathione, often referred to as the "Master Antioxidant." Unlike direct glutathione supplements, which are often poorly absorbed, Immunocal® provides the essential building blocks for the body to produce glutathione on its own.
This is made possible by Immunotec’s patented Bonded Cysteine™ technology, which delivers the key building blocks the body needs to produce glutathione—often called the body’s “Master Antioxidant.” Unlike direct glutathione supplements, which are poorly absorbed, Immunocal® supports the body’s own ability to create and sustain optimal glutathione levels.
Building on the powerful base formula of Immunocal®, Immunotec has expanded its offerings to support more targeted wellness goals—specifically Ageless Living and Performance.
For Performance, Immunocal® Sport includes all the core benefits of Immunocal®, with added ingredients designed to support energy, endurance, and recovery. As CEO Mauricio Domenzain notes, “it’s ideal for athletes and weekend warriors looking to maintain optimal performance.” Additionally, the portfolio includes NRF2 Boosters that work synergistically with Immunocal® to combat oxidative stress and improve energy levels.
Finally, Immunotec addresses Ageless Living with Immunocal® Platinum, leveraging science to help turn back the clock on aging.
“Aging is inevitable, but feeling old is optional,” says Domenzain. “Our Immunocal® Platinum formula features two powerful ingredients, Cytokine Modulating Peptides (CMP) and a Redox Modulating Formula (RMF). They work together to lower acidity levels in the body, support natural pH balance, help reduce inflammation, and strengthen bones by preventing calcium loss.”
Beyond these core areas, Immunotec also offers targeted solutions to support brain health, stress management, and more, reinforcing its holistic approach to wellness.
According to CEO Mauricio Domenzain, Immunotec’s future is focused on continuous product innovation and expanding its impact in health and wellness. With ongoing clinical trials and new studies underway, the company remains committed to leading in immune health and glutathione research, further strengthening the science behind Immunocal® and its growing product portfolio.
"The future is bright as we explore new scientific breakthroughs that will enhance our product portfolio," Domenzain affirmed.
A key strategic focus for Immunotec is expanding its portfolio to reach a wider audience and address evolving wellness needs. These upcoming innovations will complement the brand’s core areas. While some are still in development, CEO Mauricio Domenzain emphasized that each reflects Immunotec’s commitment to innovation and alignment with the growing shift toward precision medicine, offering personalized support by enhancing the body’s natural glutathione production.



With over 45 years of research and 90+ published studies, Immunocal® is the only patented glutathione precursor of its kind, formulated with Bonded Cysteine™ technology to boost the body’s glutathione production naturally. This patented technology enhances bioavailability, ensuring the body can effectively utilize glutathione for immune support, detoxification, and overall wellness.
Immunotec’s extensive scientific backing, including its feature in trusted medical references like the Physicians' Desk Reference (PDR) in the United States and the Compendium of Pharmaceutical Specialties (CPS) in Canada, underscores Immunotec's credibility within the medical community.
Mauricio Domenzain outlined three compelling reasons why individuals should choose Immunocal®'s products. First and foremost is the robust scientific foundation: "Immunotec’s products are grounded in over four decades of research, ensuring they’re scientifically proven and highly effective."
He highlighted endorsements from esteemed figures like Dr. Luc Montagnier, Nobel Prize winner in Medicine, who included a chapter on Immunocal® in one of his books, and Dr. James F. Balch, author of Prescription for Nutritional Healing, who stated, "In my opinion, everyone should take Immunocal®. There is no better way to strengthen your immune system today."
Domenzain also noted the extensive research conducted at top universities and the funding received from major organizations.
Secondly, Immunotec prioritizes clean formulations.
"Our commitment to clean formulations means our products are free from artificial additives, gluten, and sugar, offering a pure and effective solution for health-conscious consumers," said Domenzain. "By choosing Immunotec, customers are supporting a company that cares about health and gives back through initiatives like the Immunokids Foundation, which helps immunocompromised children worldwide."
For those seeking a deeper understanding of glutathione, Domenzain recommends the works of Dr. Jimmy Gutman, describing his book, The Comprehensive Guide to Glutathione, as "the most complete, up-to-date, and readable reference on glutathione." This close collaboration with Dr. Gutman, who also serves as the SAB Chairman, further reinforces Immunotec's dedication to scientific integrity and its mission to empower individuals to take control of their health through the power of glutathione.
Dr. Jimmy Gutman's pioneering work and Mauricio Domenzain's visionary leadership have positioned Immunocal® as a significant force in the pursuit of proactive health.
Their commitment to scientific validation, coupled with a deep understanding of the body's innate mechanisms, has yielded a unique and impactful approach to glutathione enhancement. From the serendipitous discovery of Immunocal® to its decades of rigorous clinical testing and recognition within the medical community, Immunotec's journey underscores the transformative potential of science-backed wellness solutions.
"At Immunotec, we are driven by the profound belief that when you empower the body with the right tools, you unlock its incredible capacity for well-being,” concluded Domenzain.
You can learn more about Immunotec and their Immunocal® products by visiting their website at https://www.immunotec.com.


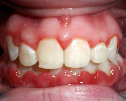
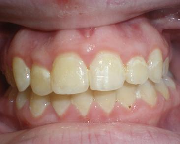
“L arge Study Links Gum Disease With Dementia”

“Periodontal disease may increase the risk of diabetes& heart disease”

“More
Evidence of Link Between Severe Gum Disease and Cancer Risk”


Clinically Proven to Reduce Biofilm 112x Better Than Brushing Alone

Inflammation in the mouth can affect the rest of the body Heart disease, Alzheimer's, pancreatic cancer and many more diseases are linked to gum disease. To fight gum disease, you must fight biofilm (dental plaque) and with up to 70% of adults having some form of gum disease, brushing and flossing are not enough OraCare has been clinically proven to remove biofilm 112x better than brushing alone.







By Deborah Squibb (CFNC)
By now, we’ve all heard of the ‘skinny shot’ Ozempic (semaglutide), one of the popular GLP-1 weight loss peptides approved by the US Food and Drug Administration (FDA), originally used to control type 2 diabetes. Its popularity has skyrocketed, even inspiring episodes on shows like South Park!
While full doses can lead to side effects such as nausea, constipation, hypoglycemia, and loss of appetite, individuals have also found it to be a lifesaver, helping to lose excess pounds, reduce visceral fat, improve cardiovascular health, and restore a zest for life through its myriad benefits throughout the body. Some people, however, view it as a dangerous drug with debilitating side effects – even labeling it as ‘cheating’. Let’s take a deeper dive.
Semaglutide is a medication used to manage blood sugar levels in people with type 2 diabetes. It mimics a hormone called GLP-1, which helps the pancreas release more insulin, reduces the release of glucagon (a hormone that raises blood sugar), and slows down stomach emptying to promote fullness. It’s typically administered as an injection and is now also used to aid weight loss.
Emerging anecdotal reports from Dr. Tyna Moore- a US naturopathic physician and chiropractor who is regarded as an expert on the use of GLP-1- show that microdosing this peptide can offer substantial benefits without the common side effects associated with higher doses.¹ This approach is especially advantageous for midlife women seeking effective solutions to their health concerns.
Recently, I attended America's largest longevity conference – A4M – where many of the world's leading doctors and researchers shared their protocols and insights on anti-aging. Notably, there were several lectures focused on cutting-edge discoveries related to GLPs and their applications beyond weight loss.


When used correctly, semaglutide can be a wonderful aid for so many conditions, not just weight loss. Additionally, microdosing this peptide, particularly for midlife women, is a very exciting realm of use.
As women transition into this stage of life, we can face various health challenges, including hormonal fluctuations, weight gain, and cognitive hurdles. Microdosing semaglutide has emerged as a promising antidote to these common and progressive health issues.
Anecdotal data from inspiring lectures at the A4M conference by Ronald Rothenberg MD and others suggests that microdosing semaglutide can provide significant benefits for midlife women who are experiencing deteriorating conditions such as:
• Metabolic health
• Inflammation and brain fog
• Polycystic ovary syndrome (PCOS)
• Anxiety
• Insomnia
• Autoimmune conditions
• Compulsive addictive behavior
• Low mood
• Reducing cellular ageing
• Cardiovascular issues
Personally, I have experienced much less inflammation, which is important as constant inflammation is the driver for most chronic conditions. I have no joint pain, and my brain readily absorbs and retains information at 58 years young! As a functional nutrition counsellor, I am also thrilled to experience the healing of some bothersome gut issues.
While semaglutide has garnered much attention, two new drugs – Tirzepatide and Retatrutide – are emerging as exciting

options. Tirzepatide is a dual agonist (a substance that mimics the actions of a neurotransmitter or hormone to produce a response when it binds to a specific receptor in the brain), targeting both GLP-1 and GIP (Gastric Inhibitory Polypeptide) receptors, enhancing glucose-dependent insulin secretion, and promoting weight loss more effectively than traditional GLP-1 agonists. Initial studies, such as one published in the New England Journal of Medicine in 2021 by Jet Frias, indicate that Tirzepatide may lead to greater weight loss and improved metabolic outcomes.² A PubMed article published in September 2024 by PJ Rodriguez found that the use of Tirzepatide was associated with greater weight loss than Semaglutide.³
Retatrutide, a triple agonist, targets GLP-1, GIP, and glucagon receptors, aiming to offer even more comprehensive metabolic benefits. Research is ongoing, but early findings, such as those presented in an article published in the National Institute of Health in July 2024 by Arun J Sanyal et al., suggest that Retatrutide could become a game-changer in managing obesity and metabolic diseases, providing additional support for midlife women facing health challenges.⁴
Microdosing GLP peptides gives a multifaceted approach to health for midlife women, addressing critical issues such as weight management, metabolic health, cardiovascular risks, inflammation, and cognitive function.
As the landscape of women's health continues to evolve, microdosing semaglutide, along with newer options like Tirzepatide and Retatrutide, could empower midlife women to maintain their health and vitality, leading to improved health span, not just life span. Most recent anecdotal reports suggest that injecting smaller amounts more than once a week might increase the efficacy based on the half-lives of these compounds.
Some are even declaring these exciting findings to be the fountain of youth! We are possibly looking at a molecule that can head many disease processes off at the pass.
At the time of writing, Semaglutide and Tirzepatide are available by prescription in the USA, UK, Canada, and Australia (amongst other countries). Retatrutide is still in clinical trials and projected to continue into 2025. If you would like to try these peptides, speak with your health care provider, but be prepared to possibly educate them on the uses of microdosing. I recommend pointing them to the work of Dr. Tyna Moore, a licensed naturopathic physician and chiropractor in the USA who has developed a body of research and anecdotal reports on GLP-1 use.
Of course, we must also make the necessary lifestyle changes through proper nutrition, resistance training to increase lean muscle mass, optimized sleep, and stress management. No peptide can replace these crucial pillars of good health.
Deborah Squibb is a Certified Functional Nutrition Counselor and Founder of Gut Health Angel and can be contacted at deborah@topdocrx.com.
Create a life You want to live! • @deborahsquibb
Hey there,
We’re Strive Compounding Pharmacy.
And we’re striving for the personal side of healthcare. You know, Personal Pharma over Big Pharma. People over profits. Well care over sick care. Baseline shifting pharmaceuticals over symptom-covering ones.
We help thousands of healthcare providers just like you write tailored prescriptions so your patients can become the healthiest version of themselves.
Whether you have experience prescribing compounds or not, we make it easy to get started, get confident, and get support.
By joining our network of providers, you’re making medicine more personal—exactly how it should be.
It’s time to Strive Forward, together.

Introducing HypoNasal™ the allnatural nasal spray and rinse made with ultra-pure HOCl and Reverse Osmosis water for gentle, effective nasal care
All-Natural & Pure: Made with pharmaceutical-grade hypochlorous acid and reverse osmosis water
Clean Formula: Free of salt, preservatives, stabilizers, and f ragrances
Scientif ically Balanced: Optimized pH 5.4–5.7 with 100–110 PPM HOCl
Residue-Free Relief: Soothes, cleanses, and ref reshes without irritation.
Long-Lasting: Stays potent for over 12 months when properly stored

AVAILABLE NOW
You can find more from Evelyn through her website or social media channels:
1. Website: EvelynFlaharty.com
2. YouTube: Evelyn Flaharty
3. YouTube: Workouts With Evelyn Flaharty
4. Instagram: ffmusclesandcurves
5. TikTok: @evelynifbbpro
6. Facebook: Evelyn Flaharty
REVOLUTIONIZING PATIENT CARE: HOW HUNTINGTON VALLEY HEALTHCARE CENTER IS LEADING THE FUTURE OF HEALING
1. Visit Huntington Valley Healthcare Center's website at https://hvhcc.com/ to find out more about how it is leading the future of healing.
Ready to take control of your health?
Discover the powerful benefits of Immunocal, a science-backed Glutathione supplement that supports immune function, cellular repair, and overall vitality.
Order now through Dr. Ted Emanuel’s official Immunotec page: https://www.immunotec.com/en-US/ drted/products
Phone: 1-876-864-2888 or (876) 754-8843
To explore a more holistic approach to wellness, visit drtedemanuel.com.
For questions or personalized guidance, you can reach Dr. Emanuel directly by emailing him at tedemanuel@ gmail.com.
1. You can learn more about Immunotec and their Immunocal® products by visiting their website at https://www.immunotec.com.
Deborah Squibb is a Certified Functional Nutrition Counselor and Founder of Gut Health Angel and can be contacted at deborah@topdocrx.com.
1. Dr. Tyna Moore- a US naturopathic physician
2. New England Journal of Medicine in 2021 by Jet Frias
3. A PubMed article published in September 2024 by PJ Rodriguez
4. National Institute of Health in July 2024 by Arun J Sanyal et al
5. Create a life You want to live! • @deborahsquibb


