TANDLÆGEFORENINGENS MEDLEMSBLAD
DANISH DENTAL JOURNAL
N°12 ∕ DECEMBER 2025 ∕ #129

![]()
TANDLÆGEFORENINGENS MEDLEMSBLAD
DANISH DENTAL JOURNAL
N°12 ∕ DECEMBER 2025 ∕ #129

SERIE OM AT VÆRE NY I FAGET
Interdisciplinært samarbejde
Anteriort tandslid
Ortodonti og parodontitis
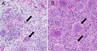
Aneurysmal knoglecyste
Centralt kæmpecellegranulom
• Er den designet og produceret i Danmark?
• Er den bygget i aluminium og hærdet glas?
• Understøtter den optimal ergonomi?
• Er den fremtidssikret til nye behandlinger?
• Holder den i mere end 20 år?
• Og giver den mulighed for op til 7 års produktgaranti?*
Ofte er svaret nej. Derfor vælger mange en HEKA unit. Kvalitet, holdbarhed og gennemtænkte løsninger betaler sig i længden!

*Produktgaranti iht. Heka Dentals gældende garantibestemmelser.

Når alle dokumentationskrav, kvalitetsstandarder og registreringer er samlet i ClinicDrive, bliver tilsynet pludselig overskueligt.
Med ClinicDrive får du et digitalt og brugervenligt værktøj, der gør det nemt at holde styr på alt det administrative - fra kvalitetssikring og opgavestyring til tidsregistrering og kemisk APV.
Med ClinicDrive kan du holde fokus på det vigtigste: patienterne.

Med ClinicDrive får du
+ Tryghed ved tilsyn og audits
+ Sikkerhed for korrekt dokumentation
+ Sikkerhed for, at opgaver udføres korrekt og til tiden
+ En lettere hverdag - fra reception til behandlerrum
Læs mere på nordenta.dk/clinicdrive eller scan QR-koden
REDAKTION
Nils-Erik Fiehn Lektor, dr.odont. Ansvarshavende og faglig-videnskabelig redaktør, nef@tdl.dk
Lorena Cruzado Grafisk designer, ldc@tdl.dk
FAGREDAKTION
Anders Troels Damgaard Adm. redaktør, atd@tdl.dk
Sofie Stokholm Jacobsen Redaktør og journalist, ssj@tdl.dk
Sofie Sparre Journalist, ssp@tdl.dk
Kim Andreasen Journalist, kia@tdl.dk
Palle Holmstrup Professor, dr.odont. Søren Schou Specialtandlæge, dr.odont.
Lise-Lotte Kirkevang Professor, dr.odont.
DET VIDENSKABELIGE PANEL
Lene Baad-Hansen, Erik Dabelsteen, Jon E. Dahl, Anne Havemose-Poulsen, Nuno Hermann, Palle Holmstrup, Siri Beier Jensen, Mats Jontell, Lise-Lotte Kirkevang, Björn Klinge, Mathilde Frost Kristensen, Gulnoush Bahrami Møller, Anne Marie L. Pedersen, Søren Schou, Svante Twetman, Ann Wenzel, Esben Boeskov Øzhayat
MANUSKRIPTVEJLEDNING
Videnskabelige manuskripter sendes til den faglig-videnskabelige redaktør på nef@tdl.dk. Find i øvrigt Tandlægebladets manuskriptvejledninger på Tandlægebladet.dk under menupunktet “Om Tandlægebladet”
ANNONCER
Stillingsannoncer og kollegiale henvendelser: Marketingkonsulent Tina Andersen ta@tdl.dk Produkt- og leverandørannoncer varetages af DG Media, Heidi Dyhr, tlf. 2834 2921, Heidi.d@dgmedia.dk, www.dgmedia.dk
UDEBLIVER TANDLÆGEBLADET?
Skriv til tbredaktion@tdl.dk. Ved adresseændring skriv til medlemsregistrering@tdl.dk
UDGIVER
Tandlægeforeningen, Amaliegade 17, 1256 Kbh. K Tandlægebladet udkommer 11 gange årligt Distribueret oplag pr. nummer: 5.441 Medlem af Danske Medier ISSN: 0039-9153
LAYOUT OG GRAFISK PRODUKTION
Lorena Cruzado (AD) vahle+nikolaisen (layout og tryk)
FORSIDE
Christian B. Yellows

Forskerne spærrede øjnene op i projektet ”Sund Mund Hele Livet”, da de fik øje på tandskam og alt det, der følger med.

”Et spring ud af det, der var meningen”
I denne måneds fagstafet svarer tandlæge Mia Portz Johannsen på, hvad der motiverede hende til at arbejde i et andet regi end det kliniske, og hvordan hun holder sig opdateret.

Arbejdslivet falder på plads
To år efter de første spæde skridt ud i tandlægelivet begynder rutinerne at tage form. Genbesøg de tre unge tandlæger Saad, Mathilde og Karoline i anden del af serien ”Fra teori til praksis”.
/938

VIDENSKAB & KLINIK
Faglig leder / 895
GOTFREDSEN K, MIKKELSEN SZ, BOTTICELLI S
Behandling af anteriort tandslid / 896
LAURSEN MG, SANDER L, BELSTRØM D
Ortodontisk behandling af den parodontale patient (stadie 3 og 4) / 908
VINTHER KM, MARCUSSEN KB, OLSEN C, KOFOD T
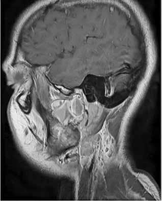
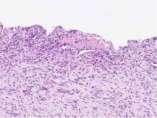
Aneurysmal knoglecyste – diagnostisk anvendelse af molekylærbiologisk undersøgelse / 920
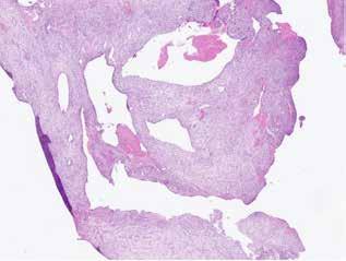
AXELGAARD CL, ØSTERGAARD KB, NØRHOLT SE, BLOMLÖF PJS, BÆRENTZEN S, THORSSON O Tre patienttilfælde med centralt kæmpecellegranulom hos børn under syv år / 928
FAST STOF
Leder / 880
Update / 882
Guide / 936
Medlemsservice / 956
Et døgn med / 968
I denne faglige guide får du indblik i, hvad en eksostose er, og hvordan man diagnosticerer og behandler.
/936
Det var nogle mærkværdige overskrifter og løse påstande, der ramte flere medier, lige før julen satte ind: Forskere og praktikere: Langt de fleste bør gå sjældnere til tandlægen, lød overskriften på Videnskab.dk, der senere gik i rundhyl på TV2 og en række andre medier.
Det faldt rigtigt mange tandlæger for brystet. Mig selv inklusive. Når man færdes i vores virkelighed ude på klinikkerne, ved man, at budskabet er i direkte modstrid med sandheden.
Det største problem, når det gælder tandsundhed herhjemme, er tværtom, at alt for mange danskere aldrig eller alt for sjældent kommer til tandlægen. Og at mange har svært ved at holde deres tænder sunde og raske.
Artiklen fra Videnskab.dk er baseret på 20 år gamle britiske studier, der konkluderer, at halvårlige tandtjek ikke har nogen effekt. Nå, men det er så heller ikke sådan, det foregår i Danmark. I hvert fald ikke hvis man har raske tænder og en rask mund.
Det er faktisk ikke muligt at få en tilskudsberettiget diagnostisk undersøgelse hvert halve år. Sådan har det været i over ti år. Sådan er de kliniske retningslinjer, vi følger.
Hvis patienterne bliver indkaldt mere end én gang om året, er der tale om opfølgende besøg og forebyggende behandling af fx begyndende caries eller parodontitis. Og dem er der til gengæld mange af. Hvert år bliver en halv million danskere diagnosticeret med eller behandlet for parodontitis og en halv million for caries.
Når man færdes i vores virkelighed ude på klinikkerne, ved man, at budskabet er i direkte modstrid med sandheden

At artiklen hviler på en helt fejlagtig præmis er ikke engang det værste. Det værste er, at den sender et misvisende signal til patienterne om, at de godt kan skrue ned for de regelmæssige besøg hos tandlægen. Og dermed også til politikerne om, at de fleste besøger tandlægen som en overflødig luksus. Det er ikke sandt.
Og jeg er stadig dybt forundret over, at eksperter vil lægge navn til en artikel, der bilder danskerne ind, at de ikke behøver at gå til tandlægen, når vi ved, at en halv million danskere ifølge Danmarks Statistik har et uopfyldt tandplejebehov, og at hver tredje dansker ikke kommer regelmæssigt til tandlæge. Jeg er også stadig dybt forundret over, at tandplejernes forperson påstår, at tandlæger hellere vil bore end forebygge og rådgive patienterne – samtidig med at hun insinuerer, at klinikkerne indkalder raske personer til unødvendige tandtjek.
Dermed smider hun både tandlægerne og egne medlemmer under bussen. Det er jo ofte tandplejerne, der vurderer patienternes sundhedstilstand og indkaldelsesbehov. Min erfaring er, at både vi og tandplejerne gør det godt. Vi har masser at lave. Og vi indkalder og behandler ikke patienter uden grund. Måske trænger eksperterne og tandplejernes forperson til en tur ud i virkeligheden på klinikkerne for at få lidt spyt på fingrene, opleve, hvordan vi arbejder, og se, hvordan det rent faktisk står til med danskernes tandsundhed. ♦
TORBEN SCHØNWALDT Formand for Tandlægeforeningen
Klinisk dokumenteret effektivitet med maksimal skånsomhed – en børste, patienter elsker at bruge hver dag
Hold tandbørsten i en 45° vinkel, så når børstehårene skånsomt ind under tandkødsranden og fjerner plak effektivt. Den 8-kantede form gør det nemt at holde den rigtige vinkel – du skal blot vippe tandbørsten én gang for at ramme de 45°.


Ultra tynde patenterede Curen fibre

Schweizisk kvalitet
Udviklet af tandlæger og professorer
5.460 ultra bløde børstehår
Ergonomisk håndtag, der sikrer præcis tandbørstning
PRIVATE FORSIKRINGER betaler et stadigt stigende beløb til danskernes tandbehandling, viser nye beregninger. Det skaber øget ulighed i adgangen til forebyggelse og behandling hos tandlægen, mener sundhedsøkonomer.
Siden 2010 og frem til 2024 er tandbehandlinger i Danmark, betalt af private forsikringsordninger, steget med 40 %. Det viser nye beregninger, som Jes Søgaard, professor emeritus og sundhedsøkonom ved Syddansk Universitet, har lavet på baggrund af tal fra Danmarks Statistik. Han peger på, at man i dag regner med, at ca. halvdelen af danskerne har en eller anden form for sundhedsforsikring.
- Det er ikke nogen hemmelighed, at det er den mest velstillede del af befolkningen med de lange uddannelser og gode jobs, som har en forsikringsordning - enten som en del af deres ansættelse eller som en, de selv betaler. De ufaglærte og dem uden for arbejdsmarkedet har ikke samme mulighed for at tegne en forsikring, forklarer sundhedsøkonomen.
Ulighed i adgangen til behandling Ifølge Jes Søgaard er udviklingen på tandlægeområdet en del af en generel tendens i det danske sundhedsvæsen over de seneste 15-20 år, hvor flere og flere, der har mulighed for det, får en sundhedsforsikring.
- Det er jo rationel adfærd. Hvis en udgift begynder at stige, så vil dem, der
kan tegne en forsikring, også gøre det. Men det skaber alt andet lige en ulige adgang til sundhedsydelser, og det er på trods af, at vi har nogle politikere, der forsikrer os om det modsatte, siger Jes Søgaard, der forudser, at man fremover kommer til at se endnu flere danskere, der får sundhedsudgifterne dækket af en privat forsikringsordning.
for tandsundhed. Hun er enig med Jes Søgaard i, at høj brugerbetaling altid vil skabe et marked for private forsikringer, og at adgangen til at få tandbehandling ikke er den samme for lavtlønnede uden en forsikring, som den er for højtlønnede med en forsikring.
- Den høje brugerbetaling skaber dermed en barriere for at gå til tandlæge for de lavtlønnede eller andre udsatte grupper, siger Trine Kjær.
Det skaber alt andet lige en ulige adgang til sundhedsydelser
JES SØGAARD
Professor emeritus og sundhedsøkonom, Syddansk Universitet
Forsikringer øger ikke i sig selv uligheden
Trine Kjær er professor på Dansk Center for Sundhedsøkonomi ved Syddansk Universitet og forsker bl.a. i markedet
Men hun understreger, at man ikke ved, om stigningen i forsikringsselskabernes udgifter i sig selv fører til øget ulighed i tandsundhed.
- Det afhænger af, hvilke ydelser der efterspørges af dem med forsikring. Dog er det sandsynligt, at en del af de lavtlønnede og dem, der står uden for arbejdsmarkedet, har et udækket behov for tandbehandling, men omfanget kender vi ikke. Det er vigtigt at holde fast i, at selv om denne gruppe ikke bruger tandlægen så ofte som de højtuddannede og dem med de gode jobs, medfører det ikke nødvendigvis, at man har dårlig tandsundhed, siger hun.♦
Udvikling i udgifter i private tandforsikringer 2010-2024 (2010 =indeks 100)
40 procent. Så stor er stigningen i danskernes forbrug af private forsikringer brugt til at dække tandbehandling, når man ser på udgifterne i perioden 2010 til 2024. Beregningen er udført af sundhedsøkonom Jes Søgaard på baggrund af tal fra Danmarks Statistik, og tallene er opgjort i 2025-priser.
Kilde: Danmarks Statistik
Vi oplever, at særligt den yngre del af befolkningen i stigende grad forsikrer deres tænder, så de på trods af et ofte lavere rådighedsbeløb fortsat har mulighed for at prioritere de regelmæssige tandlægebesøg
DENIS LEWINSKY
Administrerende direktør i Dansk Tandforsikring
Når det kommer til at forsikre tænderne, er danskere under 40 år frontløbere, viser tal fra Dansk Tandforsikring.
Kilde: Dansk Tandforsikring

Barndomstraumer øger risikoen for tandlægeskræk
EN NY NORSK BEFOLKNINGSUNDERSØGELSE (Young-HUNT4) viser, at unge med belastende barndomsoplevelser (ACE), såsom vold, misbrug, omsorgssvigt eller mobning, har markant øget risiko for tandlægeskræk. Studiet peger også på, at denne angst delvist forklarer en højere forekomst af caries i gruppen. Resultaterne understreger behovet for tidlig opsporing og en mere traumesensitiv tilgang i tandplejen.
Kilde: BMC Oral Health
RECEPTFRI SMERTEBEHANDLING virker lige så godt som opioider det første døgn efter fjernelse af visdomstænder. Det viser et nyt studie fra Rutgers School of Dental Medicine. Over 1.800 patienter – lige mange mænd og kvinder – deltog, og effekten var ens på tværs af køn. Forskerne vurderer, at resultaterne kan reducere opioidforbruget efter tandkirurgi, men at de endnu ikke kan overføres til andre operationstyper.
Kilde: Weekendavisen
Så mange lande har under Danmarks EUformandskab vedtaget et globalt forbud mod kviksølv i tandfyldninger. Forbuddet gælder alle patienter, medmindre særlige medicinske behov taler imod. Mens kviksølvfyldninger for længst er udfaset i Europa, bruges de fortsat mange steder i verden.
Kilde: Miljø- og Ligestillingsministeriet
Siden 2010 har det været lovpligtigt for tandlæger at rapportere utilsigtede hændelser (UTH) til Styrelsen for Patientsikkerhed. I alle fem regioner er der ansat risikomanagere, der arbejder med at øge patientsikkerheden på tandlægeområdet bl.a. ved at drage læring af utilsigtede hændelser og videreformidle denne læring til gavn for andre tandlæger. I samarbejde med regionernes risikomanagere deler vi på denne plads patienttilfælde, som er omskrevet, men baseret på lignende indrapporteringer. Du kan rapportere en UTH på dpsd.dk

PATIENTTILFÆLDE
En patient får foretaget en rodskylning på grund af smerter efter en udrensning i forbindelse med en rodbehandling af 6+. Efter skylningen renser tandlægen med en rodfil i samme størrelse som den, der blev brugt til udrensningen. Rodfilen knækker dog undervejs så højt oppe i kanalen, at den ikke kan fjernes.
LÆRING
Efter en nylig rodbehandling kan man med rimelighed forvente, at rodkanalen er glat og fri for grater, når der anvendes en rodfil af samme størrelse til at rense. Man skal dog
være opmærksom på ikke at presse rodfilen højere op i kanalen end rodmålet (målefejl).
Det er vigtigt at have overblik over, hvor mange gange en rodfil har været anvendt og tjekke den for svaghedstegn, fx vrid eller buk, før den bruges igen. Vurder altid, om filen fortsat er egnet til tandbehandling, og udskift den i tide, før metaltræthed eller brud opstår.
Det spørger I om
Kan min arbejdsgiver sige nej til, at jeg holder barns sygedage, når jeg er offentligt ansat?
SVAR: Arbejdsgiver kan i særlige tilfælde sige nej. Barns sygedage skal være forenelige med forholdene på arbejdspladsen, men der skal være en saglig grund til et afslag. Det er fx ikke i sig selv tilstrækkeligt, at der må aflyses patienter, for så ville retten til barns sygedag reelt ikke kunne bruges.
Kontakt Tandlægeforeningen for rådgivning på tlf.: 70 25 77 11
TANDLÆGEFORENINGEN: KOMMENDE KURSER
DECEMBER 2025
19
Webinar
Fjernelse af visdomstand
Tilmeldingsfrist: 19. december 2025
Medlemsrabat på Boozt: Spar 10-20 % hver måned
MARTS 2026
13-14
København
Årskursus 2026
Tilmeldingsfrist: 6. marts 2026
APRIL 2026
9
Horsens
Ortodontisk behandling med aligners
Tilmeldingsfrist: 27. februar 2026
Problemer med ordination af brusetabletter
Tandlægeforeningen er blevet opmærksom på en problemstilling med brugen af tranexamsyre som brusetabletter og har konsulteret Lægemiddelstyrelsen og Apotekerforeningen. Det er muligt at ordinere 1 g tranexamsyre-brusetabletter i pakninger á 16 stk. til en pris på ikke mindre end ca. 800 kr. Læs mere på Tdlnet.
Klinikker skal have penge retur fra Lægemiddelstyrelsen. Styrelsen har nemlig ikke lovhjemmel til at kræve, at fabrikanter af medicinsk udstyr efter mål er underlagt styrelsens tilsyn, herunder registrering og gebyrbetaling Det sker efter pres fra Tandlægeforeningen.
Du får 10 % medlemsrabat på Årskursus 2026, hvis du tilmelder dig inden 15. januar. Tandlægeforeningen slår dørene op til Lokomotivværkstedet i København til årets største tandfaglige begivenhed den 13.-14. marts 2026. Her kan du se frem til to dage spækket med inspirerende, faglige sessioner og Danmarks største dentalmesse – et sted, hvor faglighed og fællesskab mødes.
Direkte klager til ledelsen er ikke omfattet af whistleblowerloven
I en ny dom har Østre Landsret fastslået, at klager sendt direkte til ledelsen og kommunens chefjurist ikke gav medarbejderen beskyttelse efter whistleblowerloven. Landsretten lagde vægt på, at loven opstiller et klart krav om, at indberetninger skal ske gennem de særlige whistleblowerkanaler.

Colosseum gjorde sig umage med at fortsætte driften af klinikken i den samme ånd efter overtagelsen. Vi havde stor indflydelse over driften og fik lov til at fortsætte som vi plejer..
Mette Brande, tidligere klinikejer

Se mere fra tidligere klinikejere og få indsigt i, hvordan et generationsskifte hos Colosseum kan foregå.
Sælg din klinik og skab rum til faglighed
Hos Colosseum Tandlægerne har vi stor erfaring med at skabe en tryg og værdig overdragelse når generationsskiftet nærmer sig.
Vi tilbyder professionel støtte og sparring i både salgsproces og i den efterfølgende drift.
Vi hjælper med administration, personaleledelse, faglig uddannelse og udvikling, indkøbsaftaler, markedsføring og GDPR-compliance, så du kan slippe for de daglige administrative byrder og fokusere på det, du brænder for!

Har du spørgsmål eller ønskes en uforpligtende snak? Kontakt os:
Annki Cedervall
Head of Expansion
Telefon: 53 608 232

Mail: Annki.Cedervall@colosseumklinikken.dk
Meldingen holder stadig stik. Fire timers bridge otte gange årligt med ost og pølse til kaffen. Det er samme rutine hver gang, og det har det været i mere end 70 år.
Sidste tirsdag i hver måned mødes en gammel bridgeklub for tandlæger. Det fortaber sig i tågen, hvornår klubben præcist opstod, men formentlig engang i 1950’erne under det, der dengang hed Københavns Tandlægeforening. I klubbens storhedstid tilbage i 1970’erne kunne kortspillet samle mindst 30 tandlæger hver uge i Tandlægeforeningen i Amaliegade i København. Studerende hørte allerede om klubben på tandlægeskolen i København, hvor mange unge meldte sig ind. Ikke kun for at spille to rækker, men også for at mødes og netværke. Flere af medlemmerne var dengang aktive i fagpolitik på kryds og tværs og lagde kortene på bordet over for hinanden tirsdag aften. Oprindeligt skulle makkerparrene begge være tandlæger, men de senere år er der slækket på det krav. I dag kan man både hive sin ægtefælle eller en gammel skolekammerat med. Bridgeklubben mødes nu på Østerbro i København med færre medlemmer og et aldersgennemsnit, der nærmer sig 65 år. Men de vil gerne være flere. ♦
Kilde: Henrik Dam Hansen, tandlæge og formand for bridgeklubben






































































Kan tydeligt ses på SEM-billedet: Perlestrukturen i OMNICHROMA sammenlignet med konventionelt knuste partikler.




Smart Chromatic Technology –1.000 hvide farver


Strukturelle farvenuancer uden kunstige farvepigmenter: tilpasser sig uden problemer til enhver tandfarve fra A1 til D4
Bis-GMA-fri formel: for bedre biokompatibilitet
Enkel lagerføring: blot 1 farve er nok til økonomisk bæredygtighed



Vareprøver & Mere tokuyama-dental.eu
UNGE I ORTODONTISK BEHANDLING har ikke signifikant højere risiko for at udvikle nye carieslæsioner end jævnaldrende, der ikke er i ortodontisk behandling. Det viser et nyt prospektivt kohortestudie. Over en flerårig opfølgningsperiode udviklede 14,6 % af de ortodontisk behandlede unge og 9,8 % af dem i kontrolgruppen nye læsioner - en forskel, der ikke var statistisk signifikant (P = 0,15).
Studiet omfattede 164 unge i alderen 12-18 år, hvoraf halvdelen modtog ortodontisk behandling (med fast apparatur eller alignere), og halvdelen fungerede som alders- og kønsmatchede kontroller. Ved baseline fandtes ingen forskelle mellem grupperne, hvad angår oral sundhed, herunder gingival- og plakindeks eller tidligere caries.
Deltagerne blev fulgt med kliniske undersøgelser hver sjette måned for at registrere nye carieslæsioner. En logistisk regressionsanalyse viste, at hverken behandlingsmetode, varighed, kontrolbesøg eller ændringer i mundhygiejne havde signifikant indflydelse på cariesudviklingen. Læsionernes placering og sværhedsgrad fordelte sig desuden ens i begge grupper.
Forfatterne fremhæver, at caries er multifaktoriel, og at ortodontisk behandling i sig selv ikke bør betragtes som en uafhængig risikofaktor, så længe mundhygiejnen er tilfredsstillende. De påpeger dog metodiske begrænsninger - herunder et relativt lille deltagerantal og geografisk afgrænsning - som bør adresseres i fremtidige studier.
Resultaterne understøtter, at risikoen for caries i forbindelse med ortodontisk behandling især afhænger af patientens mundhygiejne og regelmæssige kontrol, snarere end af selve apparaturet.

ORTODONTISK BEHANDLING kan spille en vigtig rolle i rehabiliteringen af patienter med avanceret parodontitis, men kun når den parodontale sygdom er stabiliseret, og inflammationen er under kontrol. Uden grundig parodontal behandling og vedligeholdelse kan ortodontiske kræfter ellers forværre tabet af støttevæv. Behandlingen bør derfor planlægges tværfagligt mellem ortodontist, parodontolog og almen tandlæge.
En oversigtsartikel i British Dental Journal gennemgår den eksisterende viden om, hvordan ortodontisk behandling kan udføres sikkert hos patienter med kompromitteret parodontium. Artiklen sammenfatter tidligere forskning og kliniske erfaringer og giver et samlet overblik over indikationer, planlægning og udførelse af ortodonti ved avanceret parodontitis.
Avanceret parodontitis (stadie III–IV) kan medføre tandvandringer, kipninger, tab af støtte og fremfald af incisiver. Ortodontisk behandling kan i disse tilfælde bidrage til at genskabe funktion og æstetik, men kræver omhyggelig planlægning og tæt kontrol. Når sygdommen er aktiv, kan selv beskedne ortodontiske kræfter accelerere vævstab.
Artiklen understreger, at ortodontisk behandling kun bør iværksættes, når den parodontale sygdom er stabil, og sunde vævsforhold er etableret. Svage ortodontiske kræfter, kort behandlingstid og regelmæssig monitorering anbefales. Når parodontitis er under kontrol, kan ortodontisk behandling indgå som en del af helhedsplanen under forudsætning af fortsat vedligeholdelse, biofilmkontrol og tæt tværfaglig opfølgning, konkluderer forfatterne.
Chauhan R, Mishra N, Patil D et al. Impact of orthodontic treatment on the incidence of dental caries in adolescents: A prospective cohort study. Cureus 2024;16:e55898.
Fleming PS, Andrews J. Periodontitis: Orthodontic implications and management. Br Dent J 2024;237:334-40.
BØRN OG UNGE MED AUTISME (ASD) har ikke oftere caries end andre, men når de får det, er sygdommen ofte mere alvorlig. Det viser en systematisk gennemgang og metaanalyse af 25 internationale studier.
Forskerne gennemgik i alt 2.103 artikler, hvoraf 25 levede op til inklusionskriterierne.
Resultaterne viste, at der ikke var nogen væsentlige forskelle mellem børn og unge med og uden ASD, når det gælder de mest almindelige cariesmål, fx DMFTog dmft-indeksene.
Men når man undersøgte cariesforekomsten pr. tandflade (DMFS-indekset), var tallene klart højere hos børn og unge
med ASD. Det tyder på, at caries kan udvikle sig mere alvorligt i denne gruppe. Ifølge forfatterne kan denne forskel hænge sammen med, at personer med autisme ofte møder betydelige barrierer for tandpleje. Adfærdsmæssige udfordringer, sensorisk overfølsomhed og ubehag ved tandlægebesøg kan gøre det vanskeligt at få regelmæssig behandling. Samtidig kan sundhedspersonale mangle viden og erfaring i at kommunikere og arbejde med denne patientgruppe. Studiet viser, at personer med autisme ikke nødvendigvis får caries oftere end andre, men at sygdommen har tendens til at udvikle sig hurtigere og blive mere alvorlig, når den opstår. Samtidig peger

Lektor, dr.odont., ph.d.
Odontologisk Institut, Københavns Universitet
Et nyligt publiceret systematisk litteraturstudie af da Motta et al. (2025) forsøger, ved hjælp af metaanalyse, at kortlægge forekomsten af caries hos børn og unge med autisme. Dette er bestemt særdeles relevant, da der i disse år rapporteres om en voldsomt øget og øgende frekvens af denne tilstand. Da Motta et al. finder, at personer med autisme ikke nødvendigvis får caries oftere end andre, men at sygdommen har tendens til at udvikle sig hurtigere og blive mere alvorlig, når den opstår (DMFT overfor DMFS tal). Studiets datamateriale er, som forfatterne også selv påpeger, ekstremt inhomogent, og mange aspekter kan i øvrigt slet ikke sammenlignes med de forhold, vi har i Danmark og den danske børne- og ungdomstandpleje.
Samtidig beskriver forfatterne på bedste vis adfærdsmæssige udfordringer, sensorisk overfølsom-
forskerne på, at de eksisterende undersøgelser er meget forskellige i metode og kvalitet, hvilket gør det vanskeligt at drage sikre konklusioner. Der er derfor behov for nye, længerevarende studier med større og mere repræsentative deltagergrupper. Fremtidige undersøgelser bør også tage højde for forhold som kost, adgang til tandpleje og familiens støtte, så man bedre kan forstå den faktiske risiko for caries hos personer med autisme.
da Motta TP, da Mota DG, Bitencourt FV et al. Dental caries of individuals with autism spectrum disorder (ASD): a systematic review and metaanalysis. J Autism Dev Disord 2025 Feb 20. [Online ahead of print].
hed osv. hos patientgruppen, hvilket er fund, der kan gøre, at man undres over den manglende øgede cariesforekomst. Forfatterne afslutter dog også artiklen med at konkludere, at der er behov for longitudinelle studier på en større gruppe og bedre kontrol af de forstyrrende faktorer såsom kost, adgang til tandpleje og familiestøtte for at kunne kortlægge, om ASD er relateret til risikoen for caries, og hvordan dette imødegås.
I mellemtiden bør vi som fagpersoner hæfte os ved den del af undersøgelsen, som viser, at børn og unge patienter med ASD har caries af mere alvorlig grad end gennemsnittet. Denne patientgruppe bør således tilstræbes undersøgt og kontrolleret hyppigere med henblik på profylakse og behandling om nødvendigt - og ikke mindst i de relevante faglige rammer hos behandlere med ASD- og børnekompetence.

HIDTIL HAR ANBEFALINGEN VÆRET, at patienter, der behandles for parodontitis, bør modtage regelmæssig parodontal støttebehandling for at reducere risikoen for tandtab. Et nyt studie fra Institut for Odontologi og Oral Sundhed ved Aarhus Universitet viser dog, at effekten af parodontal støttebehandling mod tandtab er betydeligt mindre, end tidligere kliniske studier har indikeret.
Forskerne fulgte fra 2001 og frem til udgangen af 2021 en kohorte på 1.251 personer, alle 40 år gamle, med nyligt diagnosticeret parodontitis. Hvert år blev det registreret, om deltagerne havde modtaget parodontal behandling, og hvor mange tænder de havde fået ekstraheret. Ved hjælp af en statistisk metode (G-estimering) blev resultaterne justeret for forskelle mellem personer og frafald i opfølgningen, så man kunne beregne den gennemsnitlige effekt af behandlingen på tandtab.
Deltagerne modtog i gennemsnit parodontal behandling i 12,1 år og

mistede i gennemsnit 2,3 tænder. G-estimering viste, at parodontal behandling i et givent år, sammenlignet med ingen behandling, reducerede antallet af tandudtrækninger i det efterfølgende år med 0,04 (95 % konfidensinterval (KI): 0,02; 0,06). At modtage parodontal behandling i fem på hinanden følgende år, sammenlignet med ingen parodontal behandling, var forbundet med i gennemsnit 0,08 (95 % KI: 0,04; 0,13) færre tandudtrækninger. Dette tal er lavere end de 0,12 færre ekstraherede tænder per år (svarende til 0,60 tænder over 5 år), der tidligere er rapporteret i litteraturen.
Parodontal behandling mod tandtab medførte således kun beskeden reduktion i tandudtrækninger. På den baggrund konstaterer forfatterne, at fremtidig forskning bør fokusere på at identificere de undergrupper af befolkningen, der vil have størst gavn af parodontal behandling mindst én gang årligt.
Raittio E, Bælum V. Assessing the impact of periodontal therapy on tooth loss: a register-based longitudinal study in Denmark. Community Dent Oral Epidemiol 2025;53:724-36.
NYE TEKNOLOGIER inden for mixed reality (MR), der har ligheder med virtual reality (VR) og augmented reality (AR), kan ikke erstatte den traditionelle kirurgiske uddannelse og træning af kirurger inden for maksillofacial - og oral kirurgi. De kan imidlertid fungere som et nyttigt supplement, der hjælper studerende med at øve sig og få erfaring, før de arbejder med rigtige patienter.
Sådan lyder konklusionen i et nyt studie om MRteknologi. En gruppe forskere fra bl.a. Aarhus Universitet har gennemgået i alt 545 studier, der er udgivet mellem 2012 og 2023, og som omhandler anvendelsen af VR og AR til kirurgisk træning, og hvilken betydning de har for læring og udvikling af færdigheder.
Kun 12 ud af de 545 studier levede op til kravene om både at være publiceret på engelsk og omhandle udvikling af kirurgiske færdigheder hos tandlægestuderende på bachelor- eller kandidatniveau, tandlæger eller tand- mund- og kæbekirurger i brugen af MR. Ud over at dokumentere, at de nye teknologier ikke kan træde i stedet for traditionelle metoder, når man uddanner kirurger, konkluderer forfatterne, at fremtidig forskning bør undersøge den langsigtede effekt af MR-baseret kirurgisk træning på deltagernes præstation og resultater. De mener også, at man bør vurdere, om det er omkostningseffektivt at implementere MR-træningsprogrammer i kirurgisk uddannelse.

Bjelovucic R, Wolff J, Nørholt SE et al. Effectiveness of mixed reality in oral surgery training: a systematic review. Sensors 2025;25:3945.

Vælg mellem et bredt udvalg af tandpastaer og find den, der passer til dine patienters behov.
Alle varianter er uden farvestoffet titaniumdioxid og tandpastaen er derfor transparent. Derudover er Zendium, som du kender den. Mild i smag, uden SLS, med natriumfluorid, enzymer og proteiner – og effektiv!
Så uanset hvilke behov dine patienter har – så kan Zendium tilbyde en variant, der bidrager til at forbedre mundsundheden.

Med Zendium Professional kan du passe på planeten, mens du passer på dit tandkød. Se her hvordan:
GENANVENDT PAP
80% genanvendt pap til tandpastaæsker
BIONEDBRYDELIGE INGREDIENSER
99% af tandpastaen er bionedbrydelig
TUBE AF BIOPLASTIC
Mindst 60% bioplast i tandpastatuber
Se mere på zendium.dk


De seneste år har vist, at tandregulering i stigende grad indgår i både større og mindre behandlinger for at facilitere en ønsket restorativ behandling med fokus på at bevare tænder og muliggøre minimal invasiv behandling. Hvor temaet om ortognatkirurgi, som vi bragte i 2021, satte fokus på samarbejdet mellem ortodontist og kæbekirurg, retter vi nu blikket mod, hvordan ortodontiens rolle breder sig over flere samarbejdsflader – aktuelt i relation til behandling af anteriort tandslid samt hos patienter med fæstetab og tandtab som følge af parodontitis.
I dette nummer præsenteres to artikler om samarbejdet mellem ortodonti og henholdsvis parodontologi og restorativ behandling. Her beskrives og illustreres kriterier, planlægning og behandling på tværs af fagområderne. Med dette tema ønsker vi at vise, hvordan det tværfaglige samarbejde kan løfte kvaliteten, styrke behandlingens holdbarhed og tilføre ny viden gennem faglig sparring.
Det interdisciplinære samarbejde stiller krav til både kommunikation, planlægning og forståelse for de fagspecifikke perspektiver. Samarbejdet giver samtidig de involverede parter stor værdi, fordi den faglige horisont udvides, når patienter behandles på tværs af kompetencefelterne. Når ortodontiske, parodontale og restorative tiltag kombineres, handler behandlingen ikke længere kun om enkelttænder, men om at skabe helhedsløsninger med høj æstetik, god funktion og mulighed for vedligehold over tid.
Temaet peger samtidig frem mod flere aktuelle interdisciplinære faglige berøringsflader. Næste år bringer vi yderligere to artikler i Tandlægebladet med fokus på
det ortodontisk-protetiske samarbejde og behandling af gingivale retraktioner.
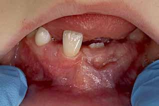
I dette årets sidste nummer bringer vi også to kasuistikker om sjældne benigne tumorer, hvor diagnostikken er central. I den første kasuistik om en aneurysmal knoglecyste kan en ny molekylærbiologisk analyse bekræfte diagnosen. I den anden kasuistik, som beskriver tre patienttilfælde af centralt kæmpecellegranulom hos børn, er diagnostikken ligeledes vigtig. Børne- og ungdomstandplejen skal her være særlig opmærksom, hvis der iagttages sporadisk og tidligt tandtab uden umiddelbar forklaring. I sådanne tilfælde bør patienten henvises til en kæbekirurgisk afdeling for nærmere udredning. ♦


MORTEN GOTFREDSEN LAURSEN
Specialtandlæge, afdelingstandlæge
Sektion for Ortodonti, Institut for Odontologi og Oral Sundhed, Aarhus Universitet
NILS-ERIK FIEHN
Ansvarshavende og fagligvidenskabelig redaktør
Tandslid ses med øget hyppighed i tandlægepraksis. Spørgsmålet er, hvornår det går fra fysiologisk til et patologisk tandslid. Sidstnævnte defineres som atypisk tandslid for patientens alder, som medfører smerter eller ubehag, funktionelle problemer eller forringet æstetik, og som, hvis det fortsætter, kan give anledning til uønskede komplikationer af stigende kompleksitet. En forudsætning for succesfuld behandling af tandslid er en identificering af sliddets ætiologi, således at forebyggende tiltag kan iværksættes. Endvidere er det hensigtsmæssigt med en graduering af sliddet og dermed en bedømmelse af alvorlighedsgraden. Vi har til de to skitserede kasus anvendt det nyeste, evidensbaserede indeks Tooth Wear Evaluation System. Dette giver mulighed for at graduere tandslid forårsaget af såvel erosion som attrition. I begge tilfælde behandles der med bidhævning foretaget med og uden ortodonti for at skabe tilstrækkelig plads til genopbygning af de slidte tænder. Sammenfattende kan det siges, at ortodonti bør overvejes som interdisciplinær behandling ved tandslid. Den restaurerende behandling bør være så noninvasiv som muligt, og der kan opnås meget flotte resultater med plast. Information om behovet for reparation og udskiftning af plastrestaureringer kombineret med en samarbejdsvillig og engageret patient er væsentlig for behandlingssucces.
EMNEORD Tooth wear | orthodontics | restorative treatment | occlusion vertical dimension
KLAUS GOTFREDSEN, professor, afdelingsleder, lic.odont., odont.dr., Oral Rehabilitering, Odontologisk Institut, Det Sundhedsvidenskabelige Fakultet, Københavns Universitet
SØREN ZEDLITZ MIKKELSEN, privatpraktiserende tandlæge, TandlægeCentret Vestertorv, Randers Affilieret med Institut for Odontologi og Oral Sundhed, Aarhus Universitet
SUSANNA BOTTICELLI, specialtandlæge i ortodonti, ph.d., Sektion for Ortodonti, Institut for Odontologi og Oral Sundhed, Aarhus Universitet, og Ganespalteafdelingen, Institut for Kommunikation og Handicap, samt Specialtandlægerne Aarhus Tandregulering
Accepteret til publikation den 13. marts 2025 Tandlægebladet 2025;129:896-907
PATIENTER MED ANTERIORT TANDSLID ses i tiltagende grad i private tandlægepraksis. Der har hidtil ikke været nogen standardprotokol for behandling af tandslid som følge af store patientvariationer samt begrænset evidens for behandlingstyper og materialer. Derfor er det uklart, hvilken teknik der bør anvendes, og om vi bør inkludere ortodonti i behandlingsplanen. Formålet med denne artikel er at beskrive tandslid ud fra de nyeste klassifikationer og at vise, hvordan behandling kan foretages afhængigt af patient og undersøgelsesdata, samt hvilke overvejelser der ligger forud for behandlingen.

Korrespondanceansvarlig førsteforfatter: KLAUS GOTFREDSEN klg@sund.ku.dk
En nyligt publiceret systematisk oversigtsartikel over kliniske studier, der anvendte direkte og indirekte restaureringer til behandling af tandslid, inkluderede 16 artikler, der rehabiliterede tandsæt med såvel anteriort som posteriort tandslid og havde opfølgningstider op til 10 år (1). Der blev anvendt direkte fremstillede plastiske restaureringer og forskellige indirekte restaureringsmaterialer. Artiklen konkluderede, at der ikke var evidens for at anvende en bestemt restaurerende teknik eller materiale, når tandslid behandles (1). Disse fund er i overensstemmelse med den europæiske konsensus omkring behandling af alvorligt tandslid, som blev publiceret i 2017 (2) og gengivet i Tandlægebladet året efter (3). I konsensusrapporten skelnes mellem fysiologisk, patologisk og alvorligt tandslid. Tænder
udsættes igennem hele livet for attrition, erosion og abrasion. En digital, radiologisk tværsnitsundersøgelse viste fysiologisk tandslid på 1-2 mm over en 60-årig periode, dvs. årligt på 1530 µm (4). Patologisk tandslid er et forøget og atypisk tandslid i forhold til patientens alder, som medfører symptomer, funktionelle problemer eller forringet æstetik, som kan give anledning til uønskede komplikationer af stigende kompleksitet (5). Tandsliddet kommer typisk i faser, og forebyggelse er væsentligt i alle perioder (6). Alvorligt tandslid er omfattende tab af tandsubstans med eksponering af dentin og betydeligt tab (≥ 1/3) af den kliniske krone (2). Patienter med patologisk og/ eller alvorligt tandslid bør få kortlagt de estimerede ætiologiske faktorer, vurderet graden af tandslid og risikoen for yderligere progression, komplikationer og eventuelle symptomer, hvis tandsliddet ikke behandles. Tandslid beskrives ofte som erosivt tandslid, selvom det hyppigst er en kombination af erosion og attrition (7). Specielt ved anteriort tandslid ses hyppigt konkavitetsdannelser af fortænder svarende til dentinen som følge af en erosiv blødgøring af denne. Emaljelister står herefter u-understøttede, hvilket hyppigt fører til emaljefrakturer ved attrition. En profylaktisk behandling kan være plastfyldninger i de incisale konkaviteter for at modvirke emaljefrakturerne og dermed tandsubstanstabet. Dette bør dog forudgås af en kortlægning af de ætiologiske faktorer for eventuelt at kunne reducere slidprogressionen og/eller en umiddelbart efterfølgende behandling med bidskinne.
I forlængelse af omtalte europæiske konsensuskonference om tandslid og en efterfølgende international konsensus omkring vurderingen af bruksisme (8) er der publiceret en del omkring diagnostiske kriterier og klassificeringen af tandslid
A
Grad 0 = intet synligt tandslid (Intet tandslid)
Grad 1 = synligt tandslid i emalje (Mildt tandslid)
Grad 2 = synligt tandslid med dentineksponering og tab af klinisk kronehøjde ≤ 1/3 (Moderat tandslid)
Grad 3 = tab af klinisk kronehøjde > 1/3, men < 2/3 (Alvorligt tandslid)
Grad 4 = tab af klinisk kronehøjde ≥ 2/3 (Ekstremt tandslid)
B
Grad 0 = intet synligt tandslid (Intet tandslid)
Grad 1 = synligt tandslid i emalje (Mildt tandslid)
Grad 2 = tandslid med dentineksponering < 50 % af arealet (Moderat tandslid)
Grad 3 = tandslid med dentineksponering ≥ 50 % af arealet (Alvorligt tandslid)
Grad 4 = tandslid med dentineksponering og komplet emaljetab eller pulpa eksponering (Ekstremt tandslid)
Tabel 1. A. Graduering af okklusalt og incisalt tandslid ifølge TWES 2.0.
B. Graduering af ikkeokklusalt/incisalt tandslid ifølge TWES 2.0.
Table 1. A. Grading of occlusal and incisal tooth wear according to TWES 2.0.
B. Grading of non-occlusal and non-incisal tooth wear according to TWES 2.0.
(9,10). Der har tidligere været anvendt forskellige indices til at klassificere tandslid, fx Tooth Wear Index, TWI (5), Basic Erosive Wear Examination, BEWE (11), men flere forskere anbefaler i dag at anvende Tooth Wear Evaluation System, TWES 2.0, som er opbygget multisekventielt med forskellige moduler. Det er en videreudvikling af BEWE, men der anvendes ikke bare en graduering af erosivt tandslid, men attrition inkluderes også, idet gradueringen foretages ud fra såvel okklusale/ incisale flader som ikke okklusale/incisale flader (Tabel 1A, B).
Gradueringer af alvorligheden af tandslid på de enkelte tænder kombineres med en screening af graden fordelt i tandsættet opdelt i seks lokalisationer/sekskanter (12). En patient kan således have generaliseret mildt tandslid, men lokaliseret alvorligt tandslid, fx anteriort. Endvidere foretages en kvalitativ vurdering, hvor tandsliddets status angives ud fra kliniske tegn med henblik på at bestemme ætiologi og sygdomsforhold (Tabel 2). Herved opnås en form for struktureret diagnose, der vil guide imod den mest hensigtsmæssige behandling (12). Dette er beskrevet i en nyligt publiceret version af de diagnostiske kriterier for tandslid (13), der også er blevet valideret klinisk (9).
Hertil er beskrevet en række kliniske tegn på erosion, bl.a. forøget incisal translucens, tynde emaljekanter, bevaret emaljekant gingivalt, incisale dentinkonkaviteter, okklusale ”cuppings”, glatte og silkematte tandoverflader, ”hævede” fyldninger (9), samt tegn på attrition bl.a. frakturerede incisalkanter eller restaureringer, infraktioner i emalje, skinnende, blanke facetter, slid af emalje og dentin med samme hastighed og matchende okklusalt/incisalt slid på antagonister (9).
Undersøgelsen danner grundlag for at vurdere tandsliddets ætiologi, progressionshastighed, profylaktiske tiltag og for at vurdere, om der skal behandles, samt patientens samarbejdsvilje. De fleste patienter med patologisk tandslid vil have behov for bidhævning for at skabe tilstrækkeligt med plads til restaureringer samt forbedre den orale funktion. Bidhævningen bør som udgangspunkt være så noninvasiv som muligt. I det følgende vises to patienteksempler med anteriort tandslid, hvor det første eksempel behandles med ortodonti og plast, mens det andet patienteksempel udelukkende restaureres med plast.
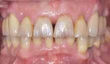
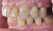
PATIENTEKSEMPEL 1
En 43-årig kvinde er henvist til ortodontisk konsultation. Patienten er kosmetisk generet af underkæbeincisivernes tand-
• Tandsensitivitet og/eller smerte
• Funktionelle problemer (tygning, spisning)
• Markant forringelse af æstetik
• Tab af bidhøjde
• Tandslid atypisk for patientalder
• Nedbrydning af hårde tandvæv og/eller restaureringer
Tabel 2. Seks tegn på patologisk tandslid ifølge TWES 2.0.
Table 2. Six signs of pathological tooth wear according to TWES 2.0.


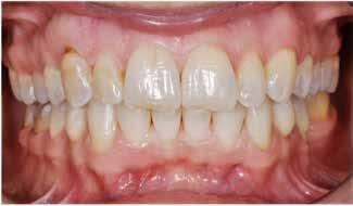
stilling og tandslid samt bekymret for infraktioner i overkæbeincisiverne. Hun oplever sporadiske isninger fra underkæbeincisiverne. Hun har endvidere ønske om implantatunderstøttet rehabilitering i regio -6.
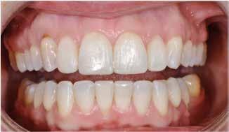
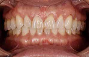
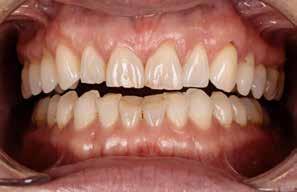
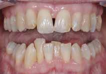
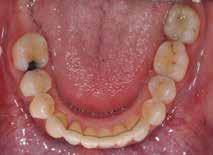
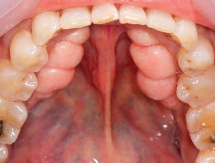
Den kliniske undersøgelse viser harmoniske ekstraorale sagittale forhold med skeletalt dybt bid (Fig. 1A, D). Hendes smil er alderssvarende med en eksponering på 8/10 af overkæbeincisiverne, mens smilets bredde er smalt med synlige mørke laterale rum (Fig. 1D). Underkæbeincisiverne er synlige under tale. Der ses neutrale okklusale forhold ved hjørnetænderne og neutrale pladsforhold i overkæben, men udtalt trangstilling i underkæben især lokaliseret i regio 1-1 (Fig. 1C).
Sliddet klassificeres som grad 2 (moderat tandslid) på de centrale incisiver i overkæbe og underkæbe. Det kan anses som patologisk, da det er atypisk for patientens alder, giver anledning til smerte/ubehag, og giver patienten et æstetisk problem. Der ses infraktioner af overkæbeincisiverne. Der ses endvidere en udtalt Spee-kurve i underkæben og ingen interincisal afstøtning på 2-2 med let ganepåbidning.
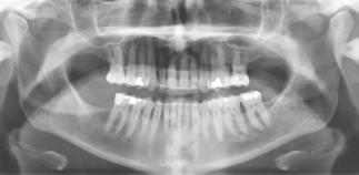
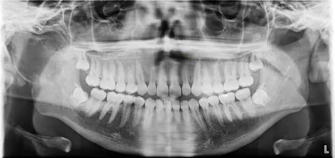
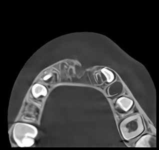
Røntgenanalyse viser fravær af -6 samt et velholdt tandsæt uden tegn på sygdom. Profilrøntgenbilledet viser et skeletalt
dybt bid, men normal inklination af fortænder i over- og underkæbe (Fig. 1B).
Behandlingsovervejelser og -plan er, at en behandling med fast apparatur med høj effektivitet vil kunne adressere de vertikale forhold med fokus på nivellering af Spee-kurven i underkæben via intrusion af underkæbeincisiverne og relativ proklination. Den sagittale ekspansion vil skabe plads, og interproksimal reduktion (IPR) af incisiverne kan overvejes.
Ved behandlingssamtalen udtrykker patienten imidlertid et klart ønske om en mere kosmetisk apparaturløsning, og vi drøfter mulighed for Clear Aligner Therapy (CAT). Alignere anses af ortodontister som en mindre optimal metode til korrektion af dybt bid pga. udfordringer med nivellering af Speekurven. I dette tilfælde faciliterer trangstillingen imidlertid en proklination af underkæbeincisiverne. En ideel visualisering/ simulationsplan udarbejdes i softwareprogrammet (Fig. 2A). Her anvendes ortodontiske principper kendt fra CAT, såsom sekventiel intrusion af underkæbeincisiver og hjørnetænder i stadier, overkorrektion af ekstrusionen af underkæbepræmolarerne, distal kipning af underkæbemolarerne, samt placering af
horisontale attachments på præmolarerne for
at understøtte nivelleringen (Fig. 2B-D). En mindre korrektion af det gingivale niveau i overkæbe samt distorotation og mindre distalisering af overkæbemolarerne planlægges.
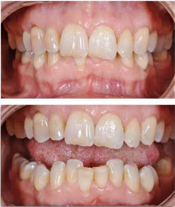
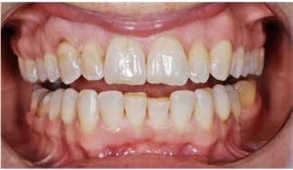
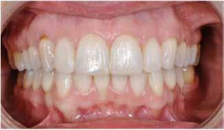
I samråd med patienten og egen tandlæge* afstemmes forventningerne, inden der bestilles refinement alignere. Nivelleringen af alle tænder i tandbuerne, smilelinje og -kurve samt den bukko-lingvale position af incisiverne foretages og efterfølges af retainers lingvalt på over- og underkæbeincisiver (Fig. 3 A-D). Hele behandlingen udføres under løbende kommunikation med patient og egen tandlæge*, der udfører den efterfølgende rekonstruktion med direkte plast (Fig. 4 A-D). Behandlingsvarigheden har været to år og to måneder, hvor ortodontien har forløbet over 21 måneder. Der har været anvendt et første sæt på 66 alignere samt yderligere to sæt med ni refinement alignere. Tandblegning og direkte plastrekonstruktion er udført af egen tandlæge* (Fig. 5 A-F).
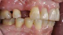
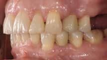
PATIENTEKSEMPEL 2
En 60-årig sund og rask kvinde henvender sig med ønske om opbygning af slidte tænder. Hun er kosmetisk generet og bekymret for videre udvikling. Hun ønsker lysere og normale tænder. Desuden er der opstået food-impaction flere steder posteriort, som generer. Patienten er glad for syrlige fødevarer. Hun har dog ikke noget stort forbrug af læskedrikke og er
Der er en stigning i antallet af patienter, som ønsker behandling af tandslid. Det er op til tandlægen i et samarbejde med patienten at undersøge årsagen og alvorlighedsgraden af tandsliddet. Herefter kan forebyggende og rehabiliterende behandling udføres. Udfordringen ved anteriort tandslid er hyppigt at skabe plads til restaurerende behandling. Dette kan opnås med eller uden ortodonti. Den restaurerende behandling bør være så noninvasiv som muligt, og ved plastrestaureringer bør patienten informeres om behov for løbende reparation.
ikke bekendt med refluks. Hun er opmærksom på at minimere indtag af syrlige fødevarer fremadrettet og efterspørger selv behandling med plast.
Den kliniske undersøgelse viser ingen symptomer fra muskler eller kæbeled. Ingen ledlyde ved åbne-/lukkebevægelse og ingen udsving ved åbne-/lukkebevægelse. Der er vertikalt overbid (VOB) 3-4 mm, horisontalt overbid (HOB) 1 mm, Angle kl. I med retroklination af såvel over- som underkæbeincisiver

A. Ortodontisk behandling med intrusion og proklination af underkæbefronten er simuleret med visualisering af slutresultatet. B-D. Nivellering af Spee kurve, type og position af attachments, biteramps på overkæbeincisiver til mild bidhævning, distorotation og distalisering af siderne i overkæben.
2. A. Orthodontic treatment with intrusion and proclination of the lower front simulated with visualisation. B-D. Leveling of the Spee curve, type and position of attachments, bite ramps on maxillary incisors for mild bite elevation, distorotation and distalization of the sides in the maxilla).
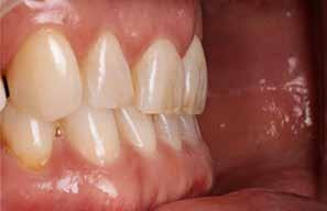
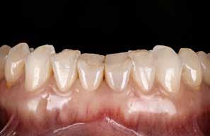
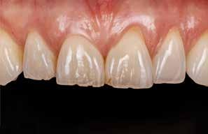
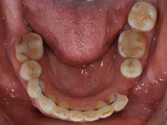
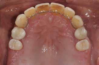
(Fig. 6 A-D). Relativt flad Spee kurve. Ud fra TWES 2.0 graduering har pt. slid af 2. grad i over- og underkæbefront, dog har 1-1 slid af 3. grad. Incisiverne har skarpe incisalkanter med emaljefrakturer og emaljeinfraktioner (Fig. 6 C, D) samt udtalte dentinkonkaviteter incisalt (Fig. 6 E). Posteriort ses slid af 1.-2. grad, og der er mistanke om natlig bruksisme, selvom patienten ikke oplyser dette. Der er såvel attrition som erosion med cuppings på flere molarer samt hævede fyldninger med mindre frakturer (Fig. 6 F, G). Erosiv årsag kan ikke identificeres ud fra kostanamnese. Der ses tydelige slidfacetter i hele tandsættet generelt. Patienten har perfekt mundhygiejne, ingen caries, slimhindeforandringer eller patologiske pocher.
Behandlingsmålet er genopbygning af tænder med tandslid (attrition og erosion). Der ønskes øget facial fylde i både over- og underkæbefront. Bidhævning foretages generelt for at tillade god plasttykkelse på min. 2 mm på alle okkluderende flader og med overdækning af svækkede cuspides med infraktioner posteriort.
Behandlingsovervejelser inkluderer diskussion med patienten om anvendelse af tandregulering inden plast. Dette for at skabe bedre plads i fronten, øge HOB og optimere interincis-

alvinklen for bedre anterior guidance. Efter analyse af fotos, intraoral scanning (IOS), og test mock-up (Fig. 7 A, B, C) vurderer vi, at fordelene ved OR var relativt begrænsede, og opbygning med plast kunne give en acceptabel løsning. Dette ud fra, at alle tænder alligevel skulle bygges op med plast, hvilket giver os en frihed til at optimere udseende og funktion af vores wax-up i forhold til den betydelige ekstra udgift til et ortodontiforløb samt til dels eliminere risikoen for resorptioner. Derfor går valget i samråd med patienten på plast uden foregående ortodonti, og behandling afsluttes med hård bidskinne med fuld balanceret kontakt til natlig brug.
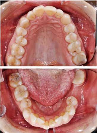
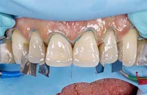
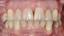
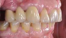
Behandlingsplan og behandling indbefatter IOS og sammenbid med leaf gauge, indtil posteriore kontakter ophæves, og der ses ca. 2 mm luft mellem molarer, svarende til ca. 4-5 mm plads i fronten. Der tages fotoserie og laves smiledesign i Smilecloud, som deles med teknikeren sammen med IOS. Teknikeren laver digitalt wax-up af 3,2,1+1,2,3 og 3,2,1-1,2,3 ud fra smiledesignet og tandlægens instruktioner. Herefter printes modeller og klare siliconestents til plastopbygning i overkæben (Fig. 8 A).
Underkæbefronten bygges op i fri hånd. Der anvendes kofferdam (Fig. 7 D, E, F, G). Vi anvender nanohybrid kompositplast

A1 (Venus® Diamond Kulzer, US) på alle slidflader posteriort samt palatinalt i overkæbefronten (Fig. 8 B, C). I det æstetiske område facialt på 3,2,1+1,2,3 og 3,2,1-1,2,3 anvendes dentin og emaljeflowplast (GC Essentia Light Dentin, Gaenial Flow samt Bleach White og GC Light Enamel, GC) (Fig. 8 D). I overkæbefronten bygges hver anden tand op ud fra stent. Dette gøres i Venus Diamond A1. Herefter laves facialt cut back og direkte layering med Light Dentin, tints og afsluttende Light Enamel (Fig. 8 C, D). Efter indslibning i okklusion og artikulation bygges tænderne op posteriort i fri hånd med overdækning af svækkede cuspides. Efter endelig justering af okklusion og artikulation (Fig. 8 E, F) samt polering til efterfølgende kontroller (Fig. 8 G, H) fremstilles hård bidskinne med fuld balanceret kontakt til natlig brug.
DISKUSSION
De to viste patienteksempler udviste moderat tandslid delvist atypisk for deres alder og med smerte/ubehag og især æstetiske problemer. Patienteksempel 2 havde desuden retroinklination af såvel overkæbe- som underkæbeincisiver og patienteksempel 1 trangstilling af underkæbeincisiver samt et meget dybt bid, hvilket kan medføre senere komplikationer af øget kompleksitet (14,15). Væsentligt er endvidere, at begge patienter havde et stort ønske om at få behandlet tandsliddet, hvilket er en forudsætning for, at en større behandling bør iværksættes.
For mange patienter med moderat tandslid er restaurerende behandling ikke nødvendig, men forebyggelse og overvågning af tandsliddets progression anbefales. Endvidere er det væsentligt at få identificeret de vigtigste ætiologiske faktorer for tandsliddet (3).
I det første patienteksempel var tandsliddet primært attrition, lokaliseret til de centrale incisiver og kombineret med meget dybt bid. Samtidig var der trangstilling af underkæbefronten. Denne malokklusion krævede ortodontisk behandling. Trangstilling anses som favorabelt til dentoalveolar korrektion af det dybe bid, for det er muligt at proklinere underkæbeincisiver med relativ intrusion. I det andet patienteksempel blev ortodonti også overvejet, idet patienten havde retroklination af såvel overkæbe- som underkæbeincisiver. Det krævede dog en relativt omfattende ortodontisk behandling at korrigere. Endvidere blev der opnået en tilfredsstillende anterior guidance med plastopbygningerne. Denne patient havde ikke trangstilling, og tandsliddet var også erosivt og omfattede både fortænder og kindtænder. Det blev vurderet, at man kunne opnå tilfredsstillende tykkelse på restaureringer, tilfredsstillende æstetik og stabil okklusion uden ortodontisk forbehandling. I samråd med patienten valgtes derfor plastopbygning af tænderne. Patienter, hvor tandsliddet er lokaliseret anteriort, og der posteriort ikke er slid, kan dog hyppigt have fordel af ortodontisk behandling inden restaurering. De fleste patienter vil dog foretrække










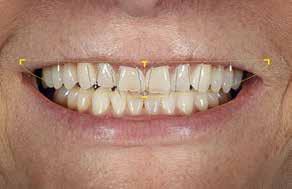
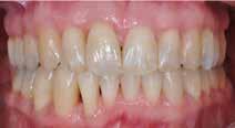
Fig. 5. A, B. Smil og kæbeforhold før og efter. Et bredere smil med korrektion af de laterale mørke rum. C-F. Harmonisk hældning af overkæbe- og underkæbeincisiver, rekonstruktion af den tabte tandsubstans efter nivellering af gingivaniveau og optimal bukko-lingval placering til direkte plastbehandling.
5. A, B. Smile and jaw relationships before and after. A wider smile with correction of the lateral dark spaces. C-F. Harmonious inclination of the upper and lower jaw incisors, reconstruction of the lost tooth substance after leveling the gingival level, and optimal bucco-lingual positioning for direct plastic treatment.
så lidt og kortvarig behandling som muligt for at opnå det ønskede resultat.
Bidhævning
For at ophæve det meget dybe bid i patienteksempel 1 og for at skabe tilstrækkelig plads til det restaurerende materiale i patienteksempel 2 blev der i begge patienteksempler foretaget en forøgelse af den vertikale dimension, der samtidig gav en bedre æstetik.
Bidhævning er hyppigt en nødvendighed for at behandle patienter med patologisk tandslid, der hyppigt har ført til en sænkning af den vertikale dimension. Hvis bidhævning er 2-3 mm i molarregionen for at skabe plads til det restaurerende materiale, vil det svare til ca. 4-5 mm i fronten (16). Dette svarer umiddelbart til frivejsmellemrummet eller mere, hvilket kunne resultere i temporomandibulær dysfunktion (TMD) eller andet ubehag (17). I et nyligt randomiseret kontrolleret studie (RCT) sammenlignede man 21 ikke-TMD-patienter, der havde fået aftagelig bidskinne inden bidhævning og restaurerende
behandling, med tilsvarende 20 patienter, der dog ikke havde fået bidskinne inden restaurerende behandling af tænder med moderat til alvorligt slid og med bidhævning ≥ 3 mm svarende til førstemolar (18). Den hollandske undersøgelse fandt ingen positiv effekt af forbehandlingen med den aftagelige skinne, og ingen af de 41 patienter havde maladaptation eller TMD efter bidhævningen.
En ny undersøgelse har endvidere vist, at det tager 15 dage til 24 måneder for okklusionen at blive reetableret efter bidhævning og tilsvarende at adaptere sig til den nye okklusion (19).
Et hyppigt beskrevet og anvendt bidhævningskoncept ved anteriort tandslid er Dahl-princippet, hvor en skinne kun placeres anteriort i overkæben, hvilket tillader kindtænderne at eruptere kompensatorisk (20,21). Implantatstudier har vist, at der udover den kompensatoriske eruption af de posteriore tænder forekommer intrusion af incisiverne, hvilket også er medvirkende til at skabe plads til at restaurere fortænderne (22). Dahl-konceptet kan også anvendes med direkte plastopbygninger eller andre fastsiddende restaurerende materialer
















7. A. Smilelinjedesign beskrevet med Smilecloud. B. Digitale modeller i den ønskede bidhøjde. C. Digitalt ”wax-up” i Smilecloud. D. Minimal præparation af underkæbefront. E. Matricer placeret i UK-front. F. Plastopbygning. G. Plastrestaureringer før formning og pudsning. H. Slutresultat i underkæben.
Fig. 7. A. Smilelinedesign outlined in Smilecloud. B. Digital models in the appropriate vertical height. C. Digital wax-up imported in smilecloud. D. Minimal preparation lower front. E.
in place lower front. F.
build-up. G. Composite restorations before shaping and polishing. H. Final restorations lower jaw.








i fronten (23). Okklusionen bliver ved dette koncept normalt først reetableret og stabiliseret i en ny intercuspidationsposition efter adskillige måneder. Et recidiv af den posteriore eruption kan dog ikke udelukkes, når tyggefunktionen genetableres.
Uanset hvilken metode der anvendes til bidhævning, bør den kun foretages, hvis den vertikale forøgelse ikke kompromitterer den faciale æstetik eller læbelukke (24).
Restaurerende cyklus
Patienterne bør naturligvis før behandlingen informeres om, at kontrol, reparationer og vedligeholdelse af behandlingerne er nødvendig.
Det er essentielt at anvende retainers efter ortodontisk behandling som i patienteksempel 1. Den kliniske erfaring er, at holdbarheden af disse er forholdsvis god for retainers i underkæbefronten, mens udskiftning eller reparation af retainers i overkæben er hyppigere. Der er dog kun begrænset videnskabeligt understøttelse af denne kliniske erfaring (25). Hvad angår plastbehandlingerne i patienteksempel 1 og 2 vil en del af disse også med tiden skulle repareres eller udskiftes. I de viste patienteksempler er der anvendt minimalt invasive teknikker netop for at beskytte pulpa og tandsubstans, men hvis plastfrakturer gentagne gange forekommer, er der indikation for indirekte restaureringer, hvor man også bør vælge de mindst invasive. Det er vigtigt at have kortlagt tandsliddets natur og progressionshastighed for at kunne informere fyldestgørende om hyppigheden af komplikationer. I en nyligt publiceret ar-
tikel om overlevelse og succes af anteriore plastrestaureringer og posteriore indirekte restaureringer anvendt til behandling af generaliseret tandslid fandt man en median overlevelsestid for plastfyldningerne på 5,9 år. De hyppigste årsager til udskiftning var plastfraktur, slid og misfarvning (26). I undersøgelsen havde 18 af de 20 patienter med behandlet tandslid (527 restaureringer) fået fremstillet beskyttende bidskinner efter behandlingen, men kun seks af patienterne anvendte bidskinnerne ved kontrolundersøgelsen, der i gennemsnit blev foretaget 62 måneder efter behandlingen.
KONKLUSION
Ortodonti bør overvejes som interdisciplinær behandling ved tandslid. Den restaurerende behandling bør være så noninvasiv som muligt, og der kan opnås meget flotte resultater med plast. Behandlingerne kræver hyppigt bidhævning og/eller ortodonti for at få tilstrækkelig plads og derved dimension og holdbarhed af plastmaterialet. Undersøgelse, risikovurdering og information om behovet for reparation og udskiftning af plastrestaureringer kombineret med samarbejdsvillig og engageret patient er væsentligt for behandlingssucces.
TAK
Tak til *tandlæge Anne Marie Bojer for tandblegning og flot plastbehandling i patienteksempel 1.
Der er accept fra begge patienter til at vise de kliniske fotos
Tooth wear is increasingly observed in dental practice. The question is when it transitions from physiological to pathological tooth wear. The latter is defined as atypical tooth wear for the patient's age, causes pain or discomfort, functional problems, or deterioration of aesthetic appearance, which, if it progresses, may give rise to undesirable complications of increasing complexity. A prerequisite for successful treatment of tooth wear is identifying the aetiology of the wear so that preventive measures can be implemented. Furthermore, it is advisable to grade the wear and thus assess the severity. For the two outlined cases, we used the evidence-based index, the Tooth Wear Evaluation
System. This allows for grading tooth wear caused by both erosion and attrition. In the two cases, treatment involved an increase in the vertical dimension of occlusion, performed with and without orthodontics to create sufficient space for the reconstruction of the worn teeth. In summary, orthodontics should be considered as an interdisciplinary treatment for tooth wear. Restaurerende treatment should be as non-invasive as possible, and excellent results can be achieved with composite. Information about the need for repair and replacement of composite restorations, combined with a cooperative and engaged patient, is essential for treatment success.
1. Hardan L, Mancino D, Bourgi R et al. Treatment of tooth wear using direct or indirect restorations: a systematic review of clinical studies. Bioengineering (Basel) 2022;9:346.
2. Loomans B, Opdam N, Attin T al. Severe tooth wear: European consensus statement on management guidelines. J Adhes Dent 2017;19:111-9.
3. Loomans B, Opdam N, Attin T et al. Alvorligt tandslid: Europæisk konsensus omkring guidelines for behandling. Tandlægebladet 2018;122:568-77.
4. Ray DS, Wiemann AH, Patel PB et al. Estimation of the rate of tooth wear in permanent incisors: a cross-sectional digital radiographic study. J Oral Rehabil 2015;42:460-6.
5. Smith BG, Knight JK. An index for measuring the wear of teeth. Br Dent J 1984;156:435-8.
6. Wetselaar P, Lobbezoo F. The tooth wear evaluation system: a modular clinical guideline for the diagnosis and management planning of worn dentitions. J Oral Rehabil 2016;43:69-80.
7. Shellis RP, Addy M. The iteractions between attrition, abrasion and erosion in tooth wear. Monogr Oral Sci 2014;25:32-45.
8. Lobbezoo F, Ahlberg J, Raphael KG et al. International consensus on the assessment of bruxism: report of a work in progress. J Oral Rehabil 2018;45:837-44.
9. Roehl JC, Katzer L, Jakstat HA et al. Tooth wear evaluation system 2.0-evaluation of diagnostic reliability in the assessment of signs and symptoms for tooth wear by non-experts. J Oral Rehabil 2024;51:712-23.
10. Manfredini D, Ahlberg J, Aarab G et al. Towards a standardized tool for the assessment of bruxism (STAB)-overview and general remarks of a multidimensional bruxism evaluation system. J Oral Rehabil 2020;47:549-56.
11. Bartlett D, Ganss C, Lussi A. Basic erosive wear examination (BEWE): a new scoring system for scientific and clinical needs. Clin Oral Investig 2008;12 (Supp 1):S65-8.
12. Wetselaar P, Lobbezoo F, de Jong P et al. A methodology for evaluating tooth wear monitoring using timed automata modelling. J Oral Rehabil 2020;47:353-60.
13. Wetselaar P, Lobbezoo F, de Vries R et al. Developing diagnostic criteria for tooth wear, a preliminary beta version based on expert opinion, and a narrative literature review. J Oral Rehabil 2023;50:1030-42.
14. McLaughlin RP, Bennett JC. The extraction-nonextraction dilemma as it relates to TMD. Angle Orthod 1995;65:175-86.
15. Sonnesen L, Svensson P. Temporomandibular disorders and psychological status in adult patients with a deep bite. Eur J Orthod 2008;30:621-9.
16. Sharon E, Beyth N, Smidt A et al. Influence of jaw opening on occlusal vertical dimension between incisors and molars. J Prosthet Dent 2019;122:115-8.
17. Ormianer Z, Palty A. Altered vertical dimension of occlusion: a comparative retrospective pilot study of tooth- and implant-supported restorations. Int J Oral Maxillofac Implants 2009;24:497-501.
18. Crins LAMJ, Opdam NJM, Kreulen CM et al. Randomised controlled trial on testing an increased vertical dimension of occlusion prior to restaurerende treatment of tooth wear. J Oral Rehabil 2023;50:26775.
19. Bzeu A, Campbell SJ, Foxton RM et al. How long does it take for the occlusion to re-establish following the placement of restorations at an increased occlusal vertical dimension? A literature review. J Prosthodont Res 2023;67:4-11.
20. Dahl BL, Krogstad O. The effect of a partial bite raising splint on the occlusal face height. An x-ray cephalometric study in human adults. Acta Odontol Scand 1982;40:17-24.
21. Dahl BL, Krogstad O. The effect of a partial bite-raising splint on the inclination of upper and lower front teeth. Acta Odontol Scand 1983;41:311-4.
22. Dahl BL, Krogstad O. Long-term observations of an increased occlusal face height obtained by a combined orthodontic/prosthetic approach. J Oral Rehabil 1985;12:173-6.
23. Redman CDJ, Hemmings KW, Good JA. The survival and clinical performance of resin-based composite restorations used to treat localised anterior tooth wear. Br Dent J 2003;194:566-72.
24. Poyser NJ, Porter RWJ, Briggs PFA et al. The Dahl concept: past, present and future. Br Dent J 2005;198:669-76.
25. Bellini-Pereira SA, Aliaga-Del Castillo A, Dos Santos CCO et al. Treatment stability with bonded versus vacuum-formed retainers: a systematic review of randomized clinical trials. Eur J Orthod 2022;44:187-96.
26. Shah S, Hemmings K, Gulamali A et al. The survival and clinical performance of anterior composite resin restorations and posterior indirect and cast restorations used to treat generalised tooth wear. Br Dent J 2024;237:203-11.
INTRODUKTION OG FORMÅL – Ortodontisk behandling kan være en nødvendighed hos patienter med avanceret parodontitis (stadie 3 og 4), hvis der skal genetableres funktionel okklusion, tilfredsstillende æstetik samt være mulighed for indsættelse af tanderstatninger. Formålet med denne artikel er at præsentere kliniske retningslinjer og en behandlingsmodel for ortodontisk behandling af patienter med velbehandlet parodontitis.
MATERIALE OG METODER – Artiklen bygger på en gennemgang af internationale retningslinjer og kliniske erfaringer, herunder to patienttilfælde, hvor der er foretaget ortodontisk behandling af patienter med stadie 3- og 4-parodontitis. Der beskrives rammer for en systematisk tilgang med fokus på parodontal sundhed, ortodontisk korrektion og livslang vedligeholdelse, hvor hele behandlingen udføres i et tæt interdisciplinært samarbejde.
RESULTATER – Begge patienter opnåede sunde parodontale forhold, funktionel okklusion og forbedret æstetik. Ortodontisk behandling blev iværksat efter opnåelse af parodontal stabilitet og tilpasset det reducerede parodontium med kontrollerede kraftsystemer. Under behandlingen blev parodontiet vedligeholdt, og efter afsluttet ortodontisk behandling blev patienterne fulgt med regelmæssige kontroller af både parodontal sundhed og ortodontisk retention.
KONKLUSION – Ortodontisk behandling af patienter med velbehandlet parodontitis er mulig og kan give gode æstetiske og funktionelle langsigtede resultater med en interdisciplinær tilgang og efterfølgende fokus på vedligeholdelse og retention.
EMNEORD Orthodontics | periodontitis | treatment | interdisciplinary | periodontitis | stage 4
MORTEN G. LAURSEN, specialtandlæge i ortodonti, Sektion for Ortodonti, Institut for Odontologi og Oral Sundhed, Aarhus Universitet, og privat praksis, Specialtandlægerne Aarhus Tandregulering
LONE SANDER, tandlæge, ph.d., EFP-certificeret specialist i parodontologi, privat henvisningspraksis, Aarhus
DANIEL BELSTRØM, dr.odont., ph.d., tandlæge, København
Accepteret til publikation den 2. oktober 2025 Tandlægebladet 2025;129:908-19
PARODONTITIS kan ubehandlet resultere i ændringer i tandstilling og belastningsforhold, hvilket ofte medfører et behov for ortodontisk behandling. Fra patientens perspektiv vil ønsket om ortodontisk korrektion ofte bero på et ønske om forbedret æstetik (1), mens det fra et tandlægefagligt synspunkt også er muligheden for at opnå en hensigtsmæssig okklusion med bedst mulig kontrol over belastningsforhold, der fører til anbefaling af ortodontisk behandling. Formålet med denne artikel er at præsentere kliniske retningslinjer, der på forsvarlig vis sikrer ortodontisk behandling af patienter med velbehandlet parodontitis.
BAGGRUND
På baggrund af banebrydende kliniske studier, som bl.a. blev udført af den danske specialtandlæge i ortodonti, Birte Melsen, har det siden 1980’erne været kendt viden, at det er både muligt og forsvarligt at gennemføre ortodontisk behandling på patienter med parodontitis (2,3), såfremt der er skabt stabile parodontale forhold uden aktiv sygdom (4,5).

Korrespondanceansvarlig førsteforfatter: MORTEN GODTFREDSEN LAURSEN mortengl@dent.au.dk
På trods af at den videnskabelige dokumentation for ortodontisk behandling på patienter med parodontitis er mere end 40 år gammel, så har behandlingen været genstand for debat i forhold til såvel indikationsområde, som hvornår og hvordan denne på forsvarlig vis kan gennemføres.
Et skridt i den rigtige retning kom i den forbindelse med 2017-klassifikationen af parodontale sygdomme, som på bag-
grund af patientens kliniske og radiologiske karakteristika inddeler patienter med parodontitis i stadier fra 1-4 og grader fra A-C (6).
Der kan som udgangspunkt være indikation for ortodontisk behandling af patienter i alle fire stadier, men angående mindre avanceret parodontitis – stadie 1 og 2 – så vil behovet for ortodontisk behandling ikke være en konsekvens af parodontitis, hvorfor dette ikke omtales yderligere i denne artikel. I modsætning hertil må det erkendes, at der for stadie 4-patienters vedkommende er kliniske karakteristika, herunder specielt mastikatorisk dysfunktion og bidkollaps, der kan være betinget af vandring, elongering og kipning af tænder som følge af excessivt fæstetab, der vanskeligt kan behandles uden ortodontisk intervention. Ligeledes kan ortodontisk behandling være et hjælpemiddel til at skabe hensigtsmæssig okklusion for dermed at eliminere traumatisk betingede løsningsgrader. Det er således primært på stadie 4-patienten og i visse tilfælde stadie 3-patienten med parodontitis, hvor der er indikation for ortodontisk behandling parodontitis causa. Når det er sagt, så er det langtfra alle patienter med stadie 4-parodontitis, hvor ortodontisk behandling er en nødvendighed. Det europæiske forbund for parodontologi (EFP) publicerede i 2022 kliniske guidelines for behandling af patienter med stadie 4-parodontitis (7), hvor stadie 4-patienter opdeles i fire fænotyper. Her er det særligt stadie 4, klasse 2-parodontitis, der er karakteriseret ved elongering og vandring, hvor ortodontisk behandling kan være et relevant element i den samlede behandlingsplan (7).
HVORNÅR KAN ORTODONTISK BEHANDLING
GENNEMFØRES PÅ PATIENTER MED PARODONTITIS?
Ifølge de internationale kliniske retningslinjer for behandling af parodontitis følger denne en trinvis strategi. På baggrund af diagnostik og klassifikation (2017) lægges der en detaljeret og samlet behandlingsplan for patienten. Uagtet patientens parodontale stadie indebærer de første interventioner målrettet arbejde med modificerbare risikofaktorer, herunder mundhygiejnekontrol og rygeophør – trin 1 adfærdsændring. Dernæst udføres årsagsrelateret behandling – trin 2 – i form af nonkirurgisk behandling (subgingival instrumentering) (8). Endelig foretages korrektiv eller regenerativ kirurgi af tænder, hvor der på trods af kontrol over risikofaktorer fortsat forekommer pocher med persisterende sygdomsaktivitet – trin 3 (8). Når behandlingsmålet er nået, overgår patienten til livslang støttende parodontal terapi – trin 4.
Behandlingsplanen for patienter med stadie 4-parodontitis er på baggrund af det avancerede sygdomsstadie mere omfattende, hvorfor der i tilgift til den årsagsrelaterede behandling skal tages højde for konsekvenserne af fremskreden parodontitis, herunder løsningsgrader og mistede tænder. Dette betyder, at der allerede i den indledende behandling sigtes mod at skabe så stabile belastningsforhold som muligt, da dette øger effekten af den nonkirurgiske instrumentering og den kirurgiske parodontalbehandling (9). Ortodontisk behandling kan først iværksættes, når patienten har afsluttet den aktive behandlingsfase og er overgået til livslang vedligeholdende behandling (5).
I henhold til 2017-klassifikationen beskrives den stabile parodontitispatient efter vellykket behandling med et blødningsindeks under 10 %, pocher op til 4 mm samt ingen pocher på 4 mm med blødning (6). Da disse kriterier er forudsætningen for, at patienten kan overgå til den vedligeholdende behandling, er det ligeledes disse, som skal være opfyldt, for at ortodontisk behandling kan iværksættes. Ydermere er absolut kontrol over risikofaktorer en nødvendighed, hvorfor et plakindeks under 10 % ved indfarvning ligeledes skal være på plads, inden behandling kan startes. Hos patienter med et sundt, men reduceret parodontium kan ortodontisk behandling gennemføres uden yderligere kompromittering af parodontiet, forudsat sufficient restfæste, god plakkontrol samt omhyggelig planlægning med realistiske mål og kontrollerede kraftsystemer, der tager hensyn til både restfæste og rodlængde (5,10,11).
ORTODONTISKE BEHANDLINGER AF PATIENTER MED REDUCERET PARODONTIUM
Vi viser her to ortodontiske behandlinger af patienter med velbehandlet stadie 3- og 4-parodontitis, som begge har tandtab og reduceret, men sundt parodontium, dog med begrundet undtagelse af en enkelt tand, som vi kommer tilbage til. Behandlingerne følger følgende princip:
1. Parodontal inflammationskontrol, opnåelse af sundhed og vedligeholdelse
Initialt etableres inflammationskontrol og sundt parodontium samt et effektivt vedligeholdelsesprogram. Specialtandlægen i ortodonti kan inddrages i behandlingsplanlægningen på dette tidspunkt, men ortodontisk behandling bør først iværksættes, når der er opnået sunde forhold (7).
2. Rekonstruktion af æstetik, okklusion og funktion Når et sundt parodontium er etableret, er det muligt at rekonstruere både æstetik, okklusion og funktion gennem ortodonti samt restaurerende/protetisk behandling. Målet er at skabe et pænt smil og et funktionelt normalt resultat, som kan vedligeholdes på lang sigt. Denne patientgruppe har ofte mistet tænder og ”mistet smilet”, og det udgør en stærk motivationsfaktor at få smilet tilbage og en stabiliseret tilstand af både parodontium og okklusion. En interdisciplinær tilgang, hvor specialtandlægen i ortodonti, parodontologen og eventuelt protetikeren arbejder sammen, er afgørende for at opnå den bedste behandlingsplan i komplekse situationer (12). Ortodontisk behandling kan foretages med fast apparatur eller alignere afhængigt af malokklusion og forankringsbehov, restfæste og patientkooperation.
3. Vedligeholdelse og retention
Det endelige resultat af den parodontale, ortodontiske og evt. restaurerende behandling må forventes at skulle vedligeholdes livslangt. Det er kendt, at selv succesfuldt behandlede og stabile parodontitispatienter forbliver i øget risiko for tilbagevendende progression af parodontitis (13). Ligeledes må der forventes at være forøget risiko for tandflytninger pga. det reducerede parodontium, og derfor anbefales det, at tandstilling og retentionsapparatur bevares, kontrol-
leres og vedligeholdes løbende (14,15). Patienterne informeres herom, således de kan reagere og henvende sig ved problemer og sikre sig løbende kontroller også ved eventuelle behandlerskift.
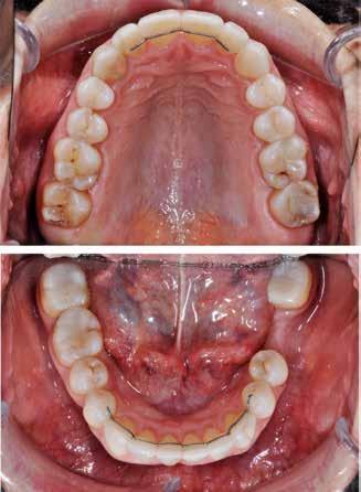
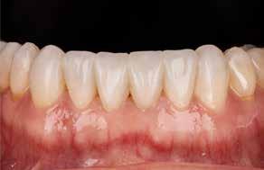
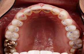
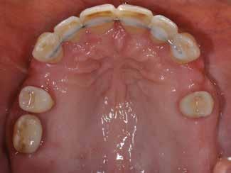
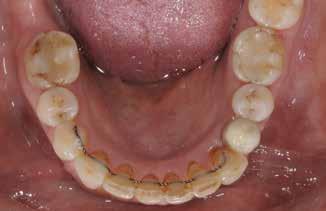
PATIENTTILFÆLDE 1
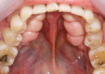
Patienttilfælde 1 (Fig. 1) er en 37-årig kvinde, henvist efter succesfuld behandling af stadie 3-parodontitis. Der er nu sundt
Før behandling



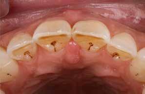
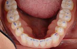
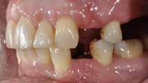
parodontium, ingen pocher over 4 mm, og både blødnings- og plakindeks er under 10 %. Patienten er motiveret for ortodontisk behandling, da hendes tænder er vandret over tid, delvist som følge af reduceret parodontium.
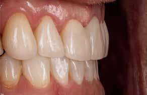
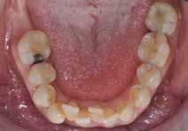
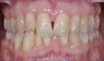
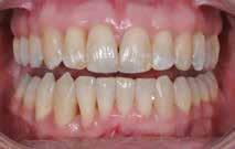
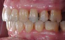
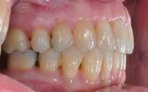
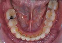
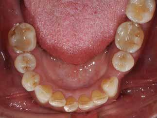
Der ses anterior trangstilling i begge kæber og overerupterede 1+1 og 2,1-1,2, hvilket resulterer i dybt bid med 2- tæt på ganepåbidning. Der er normale sidetandsrelationer, men der ses 5 mm horisontalt overbid (HOB) og 7 mm vertikalt






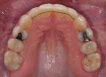
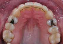
overbid (VOB). Papillen mellem 1+1 er betydeligt reduceret pga. fæstetab, og de mesialt kippede 1+1 har resulteret i en ”dark triangle”. Den facioorale funktion er for nuværende i.a. Panoramarøntgen (Fig. 1, I) viser marginalt knogletab i begge kæber og fravær af 8,7+7,8 og 8,7-8.
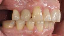
Objektivt anbefales behandling af det dybe bid, som ubehandlet forventes at forværres yderligere over tid. Patienten har ønske om behandling med æstetisk ortodontisk apparatur, alignere, og det vurderes muligt at behandle malokklusionen med alignere. Dog anbefales det generelt, at alignere undgås eller benyttes med væsentlige modifikationer af alignerens retention ved tandmobilitet, da dette ellers kan medføre jiggling, når aligneren tages af og på mange gange dagligt. På den anden side er der nogen evidens for, at alignerbehandling er associeret med bedre renhold og parodontal sundhed sammenlignet med fast apparatur (16).


Ortodontisk behandling af patienter med parodontitis kan ofte foretages sikkert ved at følge en systematisk tilgang, der omfatter 1) inflammationskontrol, 2) ortodontisk korrektion og 3) livslang vedligeholdelse. Inden behandlingen påbegyndes, skal parodontiet generelt være sundt med pocher på maksimalt 4 mm og et plak- og blødningsindeks under 10 %. Restfæstet skal være tilstrækkeligt til at modstå behandlingen, som udføres med kontrollerede kraftsystemer. Målet er at forbedre æstetik og opnå normal funktion, som kan vedligeholdes på lang sigt samt facilitere restaurerende behandling.








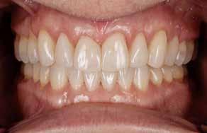
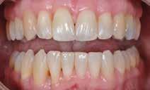
Der planlægges alignerbehandling af begge kæber med intrusion af 1+1 og 2,1-1,2, nivellering af trangstilling UK med interproksimal reduktion (IPR) (Fig. 2 A, B) og senere IPR OK for reduktion af dark triangles mellem incisiverne efter nivellering. Patienten instrueres i at benytte alignere 20-22 timer/ dag med alignerskift hver 7. dag, og patienten ses hver 3.-8. uge under forløbet. Den første alignerserie består af 16 alignere for nivellering OK/UK og IPR i UK (Fig. 2). Efter denne serie planlægges IPR mellem incisiverne i OK for reduktion af dark triangles (Fig. 3) samt yderligere intrusion af OK og UK-fronten i 12 refinement-alignere. Patienten udviser god kooperation og er meget tilfreds med alignerapparaturet, som er mindre synligt end det faste apparatur (Fig. 4).
Behandlingen afsluttes med yderligere refinement-alignere for finindstilling af okklusionen, og efter 11 måneders ortodontisk behandling er der opnået normale relationer i alle tre


planer (Fig. 5) med reduceret dark triangle mellem 1+1. Der er indsat bonded retention 2+2 og 3-3 samt udleveret Essixskinne til OK og UK som aftagelig retention til natbrug. Patienten er instrueret i at benytte Essix-skinner hver nat initialt. Efter ca. et års retention er det aftalt, at Essix-skinner skal benyttes hver anden nat. Panoramarøntgen efter behandling viser begrænset ekstern apikal resorption og acceptabel rodparallelitet efter behandling.
Ved retentionskontrol to år efter ortodontisk behandling er parodontiet fortsat sundt, og brug af aftagelig retention kan nedtrappes yderligere til to gange ugentligt. Patienten har dog god rutine med brug af Essix-skinner hver anden nat, og det aftales, at pt. kan fortsætte denne rutine.
Ved 26 måneders opfølgning er der sunde parodontale forhold, dvs. et blødningsindeks under 10 %, pocher op til 4 mm samt ingen pocher på 4 mm med blødning (6) og stabile ok-




klusionsforhold (Fig. 6). Patienten følges fortsat med kontrol af parodontium og ortodontisk retention.
Patienttilfælde 2 (Fig. 7) er en 55-årig kvinde, henvist fra egen tandlæge for tandregulering pga. vandring af fortænderne. Patienten oplyser, at tænderne har flyttet sig over en længere årrække, og at hun tidligere er blevet behandlet for parodontitis. Objektivt ses proklinerede +1,2, overeruption af 2,1+1,2 og 3,2,1-1,2,3 samt et medialt diastema i overkæben (Fig. 7 I). I underkæbefronten ses trangstilling, og -3 er udtalt distalt kippet mod ekstraktionsmellemrum i regio -4. Der er fravær af tænderne 7,4+4,6,7 og -3,7 samt tredjemolarer. Der er etableret en temporær bro i regio +4. Biddet er udtalt dybt med VOB 8 mm og ganepåbidning. Malokklusionen er Angle klasse II, subdivision, type I med ½ distal hjørnetandsrelation på venstre side og HOB på 8 mm med tendens til læbefang +2.
Parodontiet er reduceret, men sundt, med undtagelse af 6+, som ikke kan bevares pga. store knogledefekter, patologiske pocher og furkaturinvolveringer. Resttandsættet fraset 6+ er uden pocher over 4 mm, uden blødning ved pochemåling og fremstår flot renholdt. Knogletabet ses op til 50 % (6+), og overkæben er mere påvirket end underkæben.
Malokklusionen, især det dybe bid, og vandringerne af fortænderne er givet forværret med det posteriore tandtab og det reducerede marginale fæsteniveau. Ubehandlet vil det dybe bid med ganepåbidning, læbefang på +2, trangsstilling UKfront og proklination af +1,2 forværres yderligere over tid, da malokklusionen ikke er kompatibel med normal funktion. Okklusionen vil dermed bevæge sig i en negativ retning mod


yderligere tandtab og funktionelle problemer. Det reducerede parodontium er en forværrende faktor for okklusionens degeneration.
Der anbefales ortodontisk behandling med understøttende parodontal vedligeholdelse og dental implantatbehandling 4+, +4 og -4. De ortodontiske behandlingsmål sigter mod etablering af normale relationer i alle planer med kontrolleret proklination af UK-fronten for at korrigere for forøgede horisontale overbid og intrusion af OK- og UK-fronten for at korrigere det dybe bid. Der ønskes ikke posterior ekstrusion, da det vil forværre klasse II-relationen og risikere ekstrusion uden knogle og således fæstetab.
I dette tilfælde er der behov for fuldt fast apparatur og miniimplantatforankring, da der er væsentligt posteriort tandtab, reduceret parodontium på resttandsættet og udtalt dybt bid (Fig. 8 og 9). Tanden 6+ bevares foreløbigt for eventuel fri forankring. Det kan dog anses som kontroversielt at bevare 6+ under den ortodontiske behandling, da den har patologiske pocher. Afvejningen er, at 6+ eventuelt kan være nyttig for flytning af andre tænder, forudsat det øvrige parodontium holdes sundt.
De ortodontiske miniimplantater, som er 6-8 mm lange og 1,5 mm i diameter, indsættes lige distalt for 3+3 og 3-3 for at forankre den anteriore intrusion uden posterior intrusion samt for at proklinere UK-fronten uden distalføring af sidesegmenterne (Fig. 8-10). Patienten ses til parodontal kontrol og vedligeholdelse hver 3. måned hos egen tandlæge. Parodontiet bevares sundt under den ortodontiske behandling bortset fra den tidligere omtalte 6+, som indgår i apparaturet som fri forankring i den afsluttende fase af behandlingen.








referred by her general dentist for orthodontic treatment due to anterior tooth migration.
Efter 21 måneders behandling seponeres apparaturet, og der indsættes bonded retention 3+3 og 4-3 (Fig. 11). Patienten får udleveret Begg-retainer til OK med anteriort bidpla-
teau samt Essix-skinne til UK og instrueres i at bruge dem hver nat. Røntgen efter behandling (Fig. 11 F) viser let til moderat ekstern apikal rodresorption OK- og UK-front og omtrent



Fig. 8. A-C. Fast apparatur og miniimplantatforankring i OK for intrusion af incisiverne uden posterior ekstrusion. Der er fortløbende ligatur fra 3+ til +3 for at undgå proklination under intrusion.
Fig. 8. A-C. Treatment start. Fixed appliance and mini-implant anchorage in the upper jaw for intrusion of the incisors without posterior extrusion. Continuous ligature from 13 to 23 to prevent proclination during intrusion.



Fig. 9. A-C. Fast apparatur og miniimplantatforankring i UK for intrusion og proklination af incisiverne uden posterior ekstrusion samt for at hindre distalføring af sidesegmenterne.
Fig. 9. A-C. Appliance in the lower jaw. Fixed appliance and mini-implant anchorage in the lower jaw for intrusion and proclination of the incisors without posterior extrusion, as well as to prevent distal movement of the posterior segments.


Fig. 10. A-C. Der ses nu god korrektion i alle planer, og der arbejdes med detaljering af resultatet.

Fig. 10. A-C. Progress after 18 months. Good correction is now seen in all levels, and final detailing of the result is in progress.
uændret knogleniveau. Det er debatteret i litteraturen, om der kan opnås nyt bindevævsfæste via ortodontisk intrusion (2,17,18). Klinisk synes det dog mere væsentligt, at pochedybden ikke øges ved kontrolleret intrusion, og at der under god plakkontrol opnås et langt epitelfæste og i bedste fald bindevævsfæste.
Patienten er nu klar til indsættelse af tanderstatninger regio 4+4 og -4, som ses på fotos ved treårsopfølgning (Fig. 12). På dette tidspunkt bruger patienten stadig aftagelig retention hver nat, og hun er meget tilfreds med resultatet. Okklusionen er velafstøttet fra 5+ til +5, og funktionen er normal. Desværre ses periimplantitis +4 (Fig. 12 I), og der fremstilles bro til







erstatning af +4 ved egen tandlæge, hvor patienten følges for parodontal kontrol og behandling. Patienten ses også til ortodontisk opfølgning med intervaller på 1-2 år.
Ved ortodontisk opfølgning mere end ni år efter afslutning af den ortodontiske behandling mistes det andet implantat i overkæben, regio 4+, pga. periimplantitis, og her bliver der også fremstillet en bro til erstatning. Begge implantater i overkæben har således over tid udviklet periimplantitis, som er en multifaktoriel sygdom, hvor patogenesen beror på en dysbiotisk interaktion mellem den orale mikrobiota og værtens immunrespons. I dette tilfælde var patientens parodontitis velkontrolleret før og under den ortodontiske behandling. Radiologisk vurdering (Fig 12 H, I) viser, at fiksturerne umiddelbart var acceptabelt placerede, og at suprastruktu -
rerne var konstruerede på en funktionel og hensigtsmæssig måde. Det er dog overvejet, om implantaterne regio 4+ og +4 kunne være placeret for facialt i den alveolære knogle med en sårbar facial knoglelamel, hvilket kan være årsag til tabet af det første implantat regio +4. Omkring tabet af det andet implantat i overkæben regio 4+ er der registreret rygning, som er en anerkendt risikofaktor i forbindelse med udvikling af periimplantitis (19,20) og formodet medvirkende årsag til tabet af dette implantat. Desuden er det kendt, at patienter med tidligere omfattende parodontitis har en væsentlig forøget risiko for udvikling af periimplantitis, uagtet at der vedbliver at være stabile parodontale forhold (19). Patienten henvises i forbindelse med periimplantitis 4+ til specialtandlæge i parodontologi.










Ved opfølgning 13 år (Fig. 13) efter behandlingen ses fortsat god okklusion, funktion, og der er registreret sundt parodontium. Foruden den håbløse 6+ og de to implantater i overkæben er der ikke mistet tænder siden behandlingsstart. Biddet er blevet lidt dybere, og der er opstået gingival retraktion facialt +2. Retentionen forbliver bonded retention OK-/UK-front, og patienten benytter fortsat aftagelig retention om natten. Den
aftagelige retention i OK er undervejs skiftet fra Begg-retainer til skinne i OK.
Både på kort og lang sigt viser resultaterne en markant forbedring i æstetik, okklusion og funktion. Før behandling var tandsættet i uomtvistelig degeneration. Den kombinerede parodontale-ortodontiske-protetiske behandling har i første omgang sikret sunde forhold, genetableret smilet og en



sufficient afstøttet okklusion, som er kompatibel med normal funktion. Det er herefter muligt at vedligeholde resultatet med regelmæssige kontroller og målrettet opfølgning. Med tiden kan der være risiko for, at patienter med tidligere stadie 4-parodontitis kan opleve tandtab eller implantattab. Når okklusionen er korrekt indstillet og retineret, skaber det imidlertid et godt udgangspunkt for at indsætte tanderstatninger som i ovenstående tilfælde, hvor der umiddelbart kunne fremstilles broer efter implantattab.
DET INTERDISCIPLINÆRE SAMARBEJDE
Behandling af patienter med stadie 4-parodontitis beror på baggrund af den fremskredne sygdom altid på et interdisciplinært samarbejde mellem flere kliniske aktører. I andre lande, hvor man har en specialistuddannelse i parodontologi, vil dette altid indebære, at diagnostik og behandlingsplan udføres af en specialtandlæge i parodontologi. I Danmark uddanner vi imidlertid ikke specialister i parodontologi, hvorfor samarbejdet med ortodontisten vil blive varetaget af tandlæger og tandplejere i privat praksis. Dette stiller store krav til det faglige niveau hos den privatpraktiserende tandlæge og tandplejer, herunder at disse er fagligt opdaterede i henhold til internationale kliniske retningslinjer.
Indikationen for ortodontisk behandling hos patienter med parodontitis fastlægges allerede af egen tandlæge/tandplejer i forbindelse med parodontal undersøgelse og diagnostik (PUD), hvor der på baggrund af relevante stadie 4-karakteristika identificeres et potentielt behov for ortodontisk korrektion. Det er således vigtigt at understrege, at behovet for ortodontisk behandling fastlægges i den diagnostiske fase, dvs. inden der er udført nogen form for behandling af parodontitis. Behandlingsplanen forelægges for patienten, og hvis denne samtykker til den samlede behandling, herunder ortodontisk behandling, kan patienten med fordel allerede på dette tidspunkt henvises til undersøgelse hos en specialtandlæge i ortodonti, så der sikres alignment mellem den ansvarlige behandler for det pa-
rodontale behandlingsforløb og ortodontisten, allerede inden den årsagsrelaterede behandling påbegyndes.
Når den samlede behandlingsplan er godkendt af alle parter, iværksættes parodontalbehandling, hvor tandlægen/tandplejeren er tovholder. Når der er skabt stabile parodontale forhold, genhenvises patienten til specialtandlægen i ortodonti til fornyet vurdering. I forbindelse med den aktive ortodontiske behandling er ortodontisten tovholder, men tandlægen/ tandplejeren spiller fortsat en vigtig rolle. En væsentlig parameter, for at den ortodontiske behandling kan gennemføres komplikationsfrit, er således, at patienten ses til regelmæssig indfarvning, instruktion og nødvendig instrumentering hos tandlægen/tandplejeren, så der er bedst mulig kontrol over mundhygiejne samt evt. sygdomsudvikling i hele behandlingsforløbet. Efter endt ortodontisk behandling fortsætter patienten til livslang vedligeholdende behandling hos tandlægen/ tandplejeren.
KONKLUSION
Patienter med parodontitis og tandstillingsfejl kan behandles succesfuldt med en nøje tilrettelagt og prioriteret tilgang, inddelt i tre overordnede faser:
1. Parodontal inflammationskontrol, opnåelse af sundhed og vedligeholdelse
2. Rekonstruktion af æstetik, okklusion og funktion
3. Vedligeholdelse og retention
En systematisk tilgang skaber overblik og sikkerhed for både behandler og patient, mens det interdisciplinære samarbejde forbedrer muligheden for at bevare og restaurere tandsæt, der er parodontalt, morfologisk og funktionelt kompromitterede (12).
Den samlede behandling har til formål at skabe et sundt parodontium, forbedret æstetik og en stabil og funktionel, god okklusion, som kan bevares livet ud.
Der er accept fra begge patienter til at vise de kliniske fotos.
ORTHODONTIC TREATMENT OF THE PERIODONTAL PATIENT (STAGE 3 AND 4)
INTRODUCTION AND AIM – Orthodontic treatment in patients with advanced periodontitis (stage 3 and 4) may be necessary to re-establish functional occlusion and aesthetics, and to facilitate the placement of dental restorations. This article aims to present clinical guidelines and a treatment model for orthodontic management of patients with well-treated periodontitis.
MATERIALS AND METHODS – The article is based on a review of international guidelines and clinical experience, including case presentations of two patients with stage 4 periodontitis. Treatments followed a systematic approach focusing on periodontal health, orthodontic correction, and lifelong
1. Kiyak HA. Does orthodontic treatment affect patients’ quality of life? J Dent Educ 2008;72:886-94.
2. Melsen B, Agerbaek N, Eriksen J et al. New attachment through periodontal treatment and orthodontic intrusion. Am J Orthod Dentofacial Orthop 1988;94:104-16.
3. Williams S, Melsen B, Agerbaek N et al. The orthodontic treatment of malocclusion in patients with previous periodontal disease. Br J Orthod 1982;9:178-84.
4. Melsen B, Agerbaek N. Orthodontics as an adjunct to rehabilitation. Periodontol 2000 1994; 4:148-59.
5. Aimetti M, Garbo D, Ercoli E et al. Long-term prognosis of severely compromised teeth following combined periodontal and orthodontic treatment: a retrospective study. Int J Periodontics Restorative Dent 2020;40:95-102.
6. Tonetti MS, Greenwell H, Kornman KS. Staging and grading of periodontitis: framework and proposal of a new classification and case definition. J Clin Periodontol 2018;45 (Supp 20):S149-61.
7. Herrera D, Sanz M, Kebschull M et al. Treatment of stage IV periodontitis: The EFP S3 level clinical practice guideline. J Clin Periodontol 2022;49 (Supp 24):4-71.
8. Sanz M, Herrera D, Kebschull M et al. Treatment of stage I-III periodontitis –The EFP S3 level clinical practice guideline. J Clin Periodontol 2020;47 (Supp 22):4-60.
9. Kebschull M, Chapple I. Evidencebased, personalised and minimally invasive treatment for periodontitis patients – the new EFP S3-level clinical treatment guidelines. Br Dent J 2020;229:443-9.
10. Boyd RL, Leggott PJ, Quinn RS et al. Periodontal implications of orthodontic treatment in adults with reduced or normal periodontal tissues versus those of adolescents. Am J Orthod Dentofacial Orthop 1989;96:191-8.
11. Eliasson LA, Hugoson A, Kurol J et al. The effects of orthodontic treatment on periodontal tissues in patients with reduced periodontal support. Eur J Orthod 1982;4:1-9.
maintenance. The treatment was conducted through close interdisciplinary collaboration.
RESULTS – Both patients achieved stable periodontal conditions, functional occlusion, and improved aesthetics. Orthodontic treatment was initiated after periodontal health was established. The treatment was adapted to the reduced periodontium with controlled force systems and supported by periodontal maintenance. Post-treatment follow-up included continuous monitoring of periodontal health and orthodontic retention.
CONCLUSION – Orthodontic treatment of patients with wellmanaged periodontitis is feasible and can produce favourable aesthetic and functional long-term outcomes with interdisciplinary treatment.
12. Gkantidis N, Christou P, Topouzelis N. The orthodontic-periodontic interrelationship in integrated treatment challenges: a systematic review. J Oral Rehabil 2010;37:377-90.
13. Chapple ILC, Mealey BL, Van Dyke TE et al. Periodontal health and gingival diseases and conditions on an intact and a reduced periodontium: Consensus report of workgroup 1 of the 2017 World Workshop on the classification of periodontal and peri-implant diseases and conditions. J Periodontol 2018;89 (Supp 1):S74-84.
14. Dahl EH, Zachrisson BU. Longterm experience with direct-bonded lingual retainers. J Clin Orthod 1991;25:619-30.
15. Artun J, Urbye KS. The effect of orthodontic treatment on periodontal bone support in patients with advanced loss of marginal periodontium. Am J Orthod Dentofacial Orthop 1988;93:143-8.
16. Yassir YA, Nabbat SA, McIntyre GT et al. Clinical effectiveness of clear aligner treatment compared to fixed appliance treatment: an overview of systematic reviews. Clin Oral Investig 2022;26:235370.
17. Cardaropoli D, Re S, Corrente G et al. Intrusion of migrated incisors with infrabony defects in adult periodontal patients. Am J Orthod Dentofacial Orthop 2001;120:671-5, quiz 677.
18. Polson A, Caton J, Polson AP et al. Periodontal response after tooth movement into intrabony defects. J Periodontol 1984;55:197-202.
19. Dreyer H, Grischke J, Tiede C et al. Epidemiology and risk factors of peri-implantitis: a systematic review. J Periodontal Res 2018;53:657-81.
20. Reis INRD, do Amaral GCLS, Hassan MA et al. The influence of smoking on the incidence of peri-implantitis: a systematic review and meta-analysis. Clin Oral Implants Res 2023;34:543-54.
BAGGRUND – Aneurysmal knoglecyste (AKC) er en sjælden intraossøs benign knogletumor, som hyppigst findes i de lange rørknogler og vertebrae. Ca. 2 % af alle AKC’er findes i knogler i hoved-halsregionen, hvor størstedelen findes i maksillen og mandiblen. 75-90 % bliver diagnosticeret inden 20-årsalderen.
PATIENTTILFÆLDE – 17-årig pige henvist til Afdeling for Kæbekirurgi, Rigshospitalet, for udredning og behandling af knogletumor i højre side af mandiblen. Der blev foretaget knoglebiopsi af forandring i caput mandibulae højre side. Tumoren var forenelig med AKC ved histologisk analyse og PCR-analyse. Behandlingen omfattede tumorresektion med samtidig primær kæbeledsrekonstruktion efter guide med præbukket osteosynteseskinne og kondylhoved efter printet 3D-model. Nimåneders kontrol viste sunde og tilfredsstillende funktionelle forhold.
KONKLUSION – Diagnosen AKC blev verificeret ved histologisk og molekylærbiologisk analyse; sidstnævnte ved påvisning af omlejring af USP6-genet og fusion med et sekundært gen. Behandling af AKC kan ved mindre tumorer være curettage. Ved større og mere destruktive tumorer, som i dette patienttilfælde, er resektion af hele tumor og omkringliggende knogle nødvendigt. Recidivraten er ca. 10 % ved blødtvævsinvolvering.
EMNEORD Aneurysmal bone cyst | mandible | pathology | oral neoplasm | biomarkers
KASPER MELCHIOR VINTHER, specialtandlæge, Tand-, Mund- og Kæbekirurgisk afdeling, Sjællands Universitetshospital, Køge
KAROLINE BRØRUP MARCUSSEN, overtandlæge, specialtandlæge i tand-, mund- og kæbekirurgi. Afdeling for Kæbekirurgi, HovedOrtoCentret, Rigshospitalet, Københavns Universitetshospital
CAROLINE OLSEN, overlæge, Afdeling for Patologi, Rigshospitalet, Københavns Universitetshospital
THOMAS KOFOD, cheftandlæge, specialtandlæge i tand-, mund- og kæbekirurgi, ph.d., Afdeling for Kæbekirurgi, HovedOrtoCentret, Rigshospitalet, Københavns Universitetshospital
Accepteret til publikation den 21. februar. Tandlægebladet 2025;129:920-6

AKorrespondanceansvarlig førsteforfatter: KASPER MELCHIOR VINTHER kaspv@regionsjaelland.dk
NEURYSMAL KNOGLECYSTE (AKC) er en sjælden, benign knogletumor, som hyppigst findes i de lange rørknogler og vertebra (1-5). Den blev første gang beskrevet i 1942 af Jaffe et al. (2,5-7). Klinisk kan AKC vise sig ved hævelse og symptomer i form af smerter og/eller nedsat sensibilitet. 75 til 90 % af AKC bliver diagnosticeret inden 20-årsalderen, og fordelingen er ligelig mellem mænd og kvinder (6,8,9). Ca. 2 % af alle AKC findes i kæberne, hvoraf ca. 2/3 findes i mandiblen (1,6,9). Radiologisk ses AKC oftest som en lokalt aggressiv knogletumor med uni- eller multilokulær cystisk karakter. Forandringen er veldefineret med destruktiv ekspansiv vækst (9). Magnetisk resonans imaging (MR-scanning) viser et karakteristisk væske-væskespejl (1,8,9). Histologisk findes talrige blodfyldte cyster uden endotelceller adskilt af fibrøse septae indeholdende fibroblaster, flerkernede osteoklastlignende kæmpeceller og osteoid (9). AKC har en solid variant, som viser samme cellulære sammensætning, men uden de pseudocystiske områder (5,9).
AKC blev i 2004 påvist at være neoplastisk ved identifikation af omlejring af USP6-genkomplekset (Fig. 1), som giver øget ekspression af USP6-proteinet (5). USP er forkortelsen for Ubiquitin

Fig. 1. Tegning viser en genetisk ændring, hvor en del af et kromosom flyttes til et andet kromosom. Primære aneurysmale knoglecyster (AKC’er) viser omlejringer af USP6 på kromosom 17.
Fig. 1. Rearrangement of gene. Drawing shows a genetic change where part of one chromosome is moved to another chromosome. Primary aneurysmal bone cysts (AKCs) show rearrangements of USP6 on chromosome 17.
Specific Protease, et enzym som spiller en vigtig rolle i balancen mellem knogledannelse og -resorption. Dette førte til, at AKC i WHO’s klassifikation af hoved-hals-tumorer fra 2017 nu betragtes som en neoplastisk tumor, selvom navnet aneurysmal knoglecyste fortsat anvendes (9-11). Den endelige patogenese ved AKC er stadig ikke fuldt forstået (2,9,11).
I denne kasuistik præsenteres en 17-årig pige med hurtigt voksende AKC i caput mandibulae. Klinisk var der differentialdiagnostiske overvejelser grundet hurtig ekspansiv vækst. For at understøtte den diagnostiske proces blev molekylærbiologisk undersøgelse iværksat. Ved histologisk gennemgang og fund af omlejring af USP6-genet blev diagnosen AKC derfor tidligt stillet. Undersøgelse har ved AKC en sensitivitet på ca. 70 % og en specificitet på 100 % (2).
PATIENTTILFÆLDE
Henvisningsforløb 17-årig pige blev henvist fra Børneonkologisk Afdeling til Afdeling for Kæbekirurgi, Rigshospitalet, for udredning og behandling af knogletumor i højre side af underkæben. Patienten var forinden i pakkeforløb grundet hurtigt tiltagende vækst af højre side af underkæben. Hævelsen opstod over en periode på tre måneder. I primærsektoren var der foretaget ultralyd og CT-scanning, der viste en stor osteolytisk proces ved højre kæbeled, beskrevet som havende fuldstændig eroderet processus condylaris og størstedelen af ramus mandibulae. Dette medførte malignitetssuspicio.


Fig. 3. MR-scanning, sagittalt plan. Patienten lejret horisontalt. Der ses væskevæskespejl sv.t. tumor, her ses en tydelig skillelinje mellem to væsker i ét billede. Dette sker, fordi væsker med forskellig tæthed har forskellig magnetisk resonans, hvilket resulterer i ændret kontrast i MR-billedet.
Fig. 3. MR scan, sagittal plane. The patient placed horizontally. Fluid-fluid level shows the change in the tumor, here a clear dividing line appears between two liquids in one image. This happens because liquids with different densities have different magnetic resonance, which causes difference in contrast in the MR image.
side af ramus samt caput mandibulae med væske-væskespejl, udtalt deformering og overvejende cystisk karakter med centrale septae. Den kortikale knogle viste udtynding og små gennembrud.
Tentativ diagnose og udredning
Grundet placering posteriort i mandiblen samt radiologiske fund blev følgende tentative diagnoser overvejet: AKC, centralt kæmpecellegranulom og simpel knoglecyste. Endvidere blev osteosarkom overvejet grundet hurtig vækst af tumor.
Biopsi – Der blev foretaget biopsi i generel anæstesi med præaurikulær incision med henblik på adgang til kæbeled og tumor. Klinisk sås en ikkeveldefineret ledkapsel og caput med rumudfyldende, cystisk proces svarende hertil med indhold af tyk, brun, fast masse. Der blev biopteret svarende til caput.
Histologisk undersøgelse
Materialet bestod af koagler, nydannet knoglevæv samt udsnit af middelcellerig tumorproces med spredt forekomst af flerkernede, osteoklastlignende kæmpeceller. Tumorcellerne var tenformede og udviste ingen påfaldende pleomorfi eller mitoseaktivitet. Osteoklasterne var relativt små med et lavt antal kerner. Enkelte steder sås osteoid, lejret parallelt med cystevæggene (Fig. 4 A, B, C, D). PCR-analyse viste omlejring af USP6-genet. Det histologiske billede var dermed foreneligt med AKC.
Behandling
På baggrund af den endelige diagnose blev der foretaget guidet resektion af hele tumoren med samtidig rekonstruktion af kæbeleddet ved brug af virtuelt præbukket osteosynteseskinne med kondylhoved efter 3D-printet model (Fig. 5). Grundet ønske fra patienten blev resektion udskudt grundet ferie og skolestart. Ved planlægning af resektion og rekonstruktion blev der taget ny CBCT-scanning visende fortsat hurtigt progredierende vækst af tumor (Fig. 6).
I forbindelse med udredning i pakkeforløb blev der udført MR-scanning samt ultralydsvejledt nålebiopsi fra tumor, hvilket afkræftede malignitet. Grundet sparsomt materiale ved nålebiopsi kunne endelig diagnose ikke stilles. Dog gav radiologiske og histologiske forandringer mistanke om AKC, som blev forstærket ved fundet af USP6-omlejringer ved molekylær undersøgelse.
Klinisk undersøgelse
Ekstraoralt – Der sås tydelig ekspansion over ramus mandibulae og kæbeleddet i højre side. Der fandtes en fast hævelse med diskret ømhed. Kæbeleddet havde normal funktion, dog med smerter ved sideudslag mod venstre. Der fandtes ingen palpable lymfeknuder.
Intraoralt – Der fandtes ekspansion af ramus mandibulae. Herudover sås ingen abnorme fund.
Røntgen – Ortopantomografi (Fig. 2), CT- samt MR-scanning (Fig. 3) viste en 39 x 33 x 32 mm stor osteolytisk proces i højre
Behandlingen blev foretaget i generel anæstesi med kombineret submandibulær og præaurikulær adgang, hvilket muliggjorde frilægning af tumoren, der involverede hele caput samt 1/3 af ramus. Resektionen blev udført ved hjælp af en patientspecifik guide. Osteotomien blev placeret superiort for foramen mandibularis for at bevare funktionen af n. alveolaris inferior. Herefter blev der indsat præbukket osteosynteserekonstruktionsskinne inklusive kondylhoved. Bløddelene blev lukket lagvis.
Det postoperative forløb var komplikationsfrit, og patienten blev udskrevet efter tre døgn. Postoperativ CT-scanning samt panoramarøntgen viste tilfredsstillende resektion og rekonstruktion af ramus samt caput mandibulae i højre side (Fig. 7).
Den histologiske undersøgelse af resektatet bekræftede diagnosen fra den initiale biopsi: AKC.
Opfølgning
Seneste opfølgning var ni måneder efter resektion, hvor patienten beskrev fravær af smerter, normal tyggefunktion, normal facialisfunktion, men let nedsat følesans sv.t. højre side af
underkæben. Kliniske undersøgelser viste ingen tegn på komplikationer, og patienten gabte 35 mm interincisalt med deviation mod højre uden ledlyde. Der var tendens til let åbent bid i fronten, men patienten kunne guides til entydig okklusion. CBCT viste tilfredsstillende placering og forhold af præbukket osteosynteseskinne og kondylhoved i højre side. Næste planlagte kontrol er etårs kontrol. Videre plan ved stationære forhold vil være endelig rekonstruktion med kæbeledsalloplastik.
DISKUSSION
Terminologien ”aneurysmal knoglecyste” (AKC) stammer alene fra det radiologiske udseende, da navnet ikke harmonerer med de histologiske karakteristika. Et aneurisme defineres som en udvidelse af en arterie på minimum 50 % og cyste som et epitelbeklædt, væskefyldt, unormalt hulrum.


Molekylærbiologisk metode som PCR (polymerase chain reaction) kan bidrage til at bekræfte diagnosen AKC ved påvisning af en genetisk ændring, hvor en del af et kromosom er flyttet til et andet kromosom – såkaldte fusionsgener. Nogle knogletumorer kan have lignende kliniske præsentationer, og differentiering mellem dem kan være vanskelig baseret på kliniske fund og histologi alene. Molekylærbiologisk analyse kan hjælpe med at skelne AKC fra andre knogletumorer ved at identificere specifikke genetiske ændringer. Det formodes derfor, at der fortsat vil være løbende korrektion af WHO’s klassifikationer af hoved- og halstumorer med fortsat kortlægning af genetiske profiler af flere tumorer.


Fig. 4. A+B. AKC (H&E hhv. Alcian van Gieson) med celletæt bindevæv indeholdende irregulære pseudocystiske hulrum og spredtliggende flerkernede kæmpeceller. C+B. AKC (H&E hhv. Alcian van Gieson) med celletæt bindevæv indeholdende osteoid aflejret parallelt med den pseudocystiske overflade.
Fig. 4. A+B. AKC (H&E resp. Alcian van Gieson) with dense connective tissue containing irregular pseudocystic spaces and scattered multinucleated giant cells. C+D. AKC (H&E resp. Alcian van Gieson) with dense connective tissue containing osteoid deposits parallel to the pseudocystic surface.

Fig. 5. Simulering af guidet resektion af tumor med samtidig rekonstruktion af kæbeled med virtuelt præbukket osteosynteseskinne med kondylhoved.
Fig. 5. Simulation of guided resection of the tumor with simultaneous reconstruction of jaw with pre-bent osteosynthesis and condylar head.

Fig. 6. CBCT-scanninger er taget med 3 måneder imellem. Grøn viser tidligste scanning, mens blå markerer sen scanning.
Fig. 6. Superimposition of CBCT scans. CBCT scans were taken 3 months apart. Green indicates the earliest scan, while blue marks the later scan.
teinet (5). Selvom den præcise patogenese ved AKC stadig ikke er fuldt forstået, er en hypotese, at øget ekspression af USP6proteinet fremmer produktionen af matrix metalloproteinase (MMP), som kan føre til osteolyse, inflammation og ekspansiv vaskularisering (2). Dette førte til, at WHO’s klassifikation af hoved-hals-tumorer i 2017 betegner AKC som en neoplasi på trods af den fortsatte brug af navnet aneurysmal knoglecyste (9,10).
De fleste AKC’er er primære, men omkring 30 % er forbundet med en anden skeletal læsion og er derfor blevet kaldt sekundære AKC’er. Disse er ikke ægte AKC’er, men snarere aneurysmale forandringer, der opstår som følge af en anden underliggende tilstand (2,5).
Ved mistanke om primær AKC i mandiblen er det vigtigt at udelukke sekundær AKC, hvor de aneurysmale forandringer skyldes en anden patologi. Mulige differentialdiagnoser omfatter bl.a.: fibrøs dysplasi, ameloblastom, kæmpecelletumor, kæmpecellegranulom, ikkeossificerende fibrom, vaskulær malformation, osteoblastom, simpel knoglecyste, kondroblastom, kondromyksoidt fibrom og osteosarkom (2). Ingen af disse læsioner har omlejringer af USP6-genkomplekset og kan derfor udelukkes ved biopsi og molekylær undersøgelse (1,2,5). Den hurtige destruktive ekspansive vækst, som ses ved AKC, gør det nødvendigt med hurtig biopsi og diagnose, da malignitet ikke kan udelukkes. I det aktuelle tilfælde blev der i det indledende pakkeforløb taget nålebiopsi af forandringerne. Biopsien viste ikke tegn på malignitet, men omlejring af USP6-genet blev identificeret, hvilket gav mistanke om AKC. Diagnosen kunne dog ikke endeligt fastslås pga. sparsomt materiale. Placering i den posteriore del af mandiblen og det destruktive ekspansive vækstmønster pegede på følgende differentialdiagnoser: Simpel knoglecyste (SKC) er i litteraturen synonym med traumatisk knoglecyste, hæmorragisk knoglecyste, solitær knoglecyste og ekstravasationscyste (9,12,13). SKC er en intraossøs kavitet uden epitelbeklædning, tom eller væskefyldt, typisk solitær, og findes i hoved- og halsregionen, hyppigst i mandiblen, og udgør ca. 1 % af alle kæbecyster (12,13). Ligelig fordelt mellem mænd og kvinder, og den optræder oftest i 10-20-årsalderen (9). SKC fremstår oftest asymptomatisk (9). Radiologisk er SKC en velafgrænset uni- eller multilokulær radiolucent forandring af varierende størrelse i kæberne. Ved større variationer af SKC kan der ses knogleekspansion (9,12).
Normalt behandles SKC med curettage af knoglekaviteten forårsagende blødning og stimulation af osteogenesen (9,12,13). Recidivfrekvensen er lav (9,12).
AKC er inddelt i ”primær og sekundær AKC”. Tidligere betragtede man primær AKC som en pseudocyste med hæmodynamisk årsag som konsekvens af en vaskulær forstyrrelse, muligvis forbundet med en underliggende læsion medførende øget lokalt vaskulært tryk og forstyrrelse og derfor dannelse af ekspansive blødende områder (2,3). Primær AKC blev i 2004 bevist at være neoplastisk ved identifikation af omlejring af USP6-genkomplekset, som giver øget ekspression af USP6-pro-
Centralt kæmpecellegranulom (CKCG) er en lokal intraossøs benign læsion. I 30 % af tilfældene kan der være aggressiv osteolytisk vækst i kæberne (9). Tumoren udgør 10 % af alle kæbetumorer, hyppigst i mandiblen og hos kvinder < 20 år (9,14). Klinisk ses oftest asymptomatisk langsom vækst (9,12). Radiologisk kan læsionen være uni- eller multilobulær. Læsionen kan udvise aggressiv vækst med kortikal perforation og invasion af omkringliggende væv (12,14). CKCG behandles oftest med godt resultat ved curettage (9,12,14).
Osteosarkom (OS) udgøres af en gruppe af maligne knogletumorer, hvis neoplastiske celle producerer knogle (9,15).

Fig. 7. Ortopantomografi efter resektion og indsættelse af præbukket rekonstruktionsskinne med kondylhoved.
Fig. 7. Orthopantomography after resection and insertion of pre-bent reconstruction plate with condylar head add-on.
Med en incidens på fire tilfælde pr. 100.000 er OS sjælden. OS ses hyppigst i de lange rørknogler. 6 % af OS findes i kæberne, ligeligt fordelt mellem mænd og kvinder (9,15). OS i hovedog halsregionen ses oftest fra 30-40-årsalderen og kan involvere alle kraniofaciale knogler, men ses hyppigst i mandiblen (15). Klinisk er symptomerne uspecifikke, inkluderer lokaliseret smerte og tiltagende hævelse, trismus og paræstesi (15). Radiologisk findes OS med uskarp afgrænsning, ofte med en bred overgangszone mellem normal og unormal knogle. Den kortikale knogle kan være ødelagt, ofte med periostal reaktion og bløddelsforandringer (9). Behandling er radikal resektion med frie rande, som er den vigtigste prognostiske faktor med en 10-års overlevelse på > 80 % (9).
I det aktuelle tilfælde var det vanskeligt at skelne klinisk og radiologisk mellem AKC, sekundær AKC, SKC, CKCG og OS, da de alle kan udvise lignende karakteristika. Derfor er biopsi essentielt for endelig og korrekt diagnose. Dog kan det histologisk være vanskeligt at differentiere mellem primær AKC, sekundær AKC og CKCG (5,11). Gensekventering er derfor blevet en vigtig del af diagnostikken som i dette tilfælde, hvor der blev fundet omlejring af USP6-genet (4-6).
Efter den endelige diagnose blev det besluttet at foretage resektion af AKC og samtidig rekonstruktion ved hjælp af en præbukket osteosynteseskinne og kondylhoved. Diagnosen ændrede ikke behandlingsplanen, men hvis der havde været tale om SKC, kunne konserverende behandling have været tilstrækkeligt. Ved osteosarkom ville behandlingen derimod kræve radikal resektion og kemoterapi.
Diagnosticeringen af AKC og andre tumorer kan ikke altid baseres alene ved kliniske, radiologiske og histologiske undersøgelser. I det aktuelle tilfælde var molekylærbiologisk diagnostik afgørende for at stille en korrekt og hurtig diagnose. Molekylærbiologiske undersøgelser, herunder gensekventering, er blevet et vigtigt redskab i diagnosticeringen af patologiske tilstande, hvor kliniske, radiologiske og histologiske læsioner kan ligne hinanden og være svære at differentiere. Det formodes derfor, at der fortsat vil være løbende korrektion af WHO’s klassifikationer af hoved- og halstumorer i takt med kortlægning af genetiske profiler af flere tumorer.
Patienten har givet samtykke til, at billederne bringes.
ANEURYSMAL BONE CYST
BACKGROUND – Aneurysmal Bone Cyst (ABC) is a rare intraosseous benign bone tumor, most commonly found in long tubular bones and vertebrae. Approximately 2% of all ABCs occur in the bones of the head and neck region, with the majority located in the maxilla and mandible. ABC is typically diagnosed before the age of 20 in 75-90% of cases.
STUDY CASE – A 17-year-old girl was referred to the Department of Maxillofacial Surgery at Rigshospitalet for evaluation and treatment of a bone tumor in the right side of the mandible. A bone biopsy of the lesion, located in the right condylar head was performed. Histological and PCR analyses identified the tumor as an ABC.
1. McMullen PD, Bridge JA, Blair EA et al. Aneurysmal bone cyst of the maxillary sinus with USP6 rearrangement: case report of a rare entity and review of the literature. Head Neck Pathol 2019;13:281-5.
2. Hermann AL, Polivka M, Loit MP et al. Aneurysmal bone cyst of the frontal bone – a radiologic-pathologic correlation. J Radiol Case Rep 2018;12:16-24.
3. Liu Y, Zhou J, Shi J. Clinicopathology and recurrence analysis of 44 jaw aneurysmal bone cyst cases: a literature review. Front Surg 2021;8:678696
4. Baumhoer D, Amary F, Flanagan AM. An update of molecular pathology of bone tumors. Lessons learned from investigating samples by next generation sequencing. Genes Chromosomes Cancer 2019;58:88-99.
5. Oliveira AM, Perez-Atayde AR, Inwards CY et al. USP6 and CDH11 oncogenes identify the neoplastic cell in primary aneurysmal bone cysts and are absent in so-called secondary aneurysmal bone cysts. Am J Pathol 2004;165:1773-80.
6. Urs AB, Augustine J, Chawla H. Aneurysmal bone cyst of the jaws: clinicopathological study. J Maxillofac Oral Surg 2014;13:458-63.
7. Jaffe HL, Lichtenstein L. Solitary unicameral bone cyst with emphasis on the roentgen picture, the pathologic appearance and the pathogenesis. Arch Surg 1942;44:1004-25.
8. van Geloven TPG, van de Sande MAJ, van der Heijden L. The treatment of aneurysmal bone cysts. Curr Opin Pediatr 2023;35:131-7.
Treatment involved tumor resection with simultaneous primary joint reconstruction following a guide with a pre-bent osteosynthesis and condyle head according to a printed 3D model. A nine-month follow-up demonstrated healthy and well-functioning conditions.
CONCLUSION – The diagnosis of ABC was confirmed through histological and molecular biological analyses. The molecular analysis identified a USP6 gene rearrangement and fusion with a secondary gene. Treatment of ABC may involve curettage for smaller tumors. However, for larger and more destructive tumors, such as in this case, complete resection of the tumor, and surrounding bone is required. The recurrence rate is approximately 10% when involvement of soft tissue.
9. El-Naggar AK, Chan JKC, Grandis JR et al. WHO classification of head and neck tumours. 4th ed. Lyon: International Agency for Research on Cancer (IARC), 2017.
10. Vered M, Wright JM. Update from the 5th edition of the World Health Organization classification of head and neck tumors: odontogenic and maxillofacial bone tumours. Head Neck Pathol 2022;16:63-75.
11. Agaram NP, Leloarer FV, Zhang L et al. USP6 gene rearrangements occur preferentially in giant cell reparative granulomas of the hands and feet but not in gnathic location. Hum Pathol 2014;45:1147-52.
12. Starch-Jensen T. Traumatisk knoglecyste i mandiblen. En retrospektiv undersøgelse. Tandlægebladet 2020;124:706-12.
13. Bindra S, Jadaun G, Jois HS et al. Traumatic bone cyst of mandible: a case report of rare entity and review of literature. Contemp Clin Dent 2019;10:3-8.
14. Suárez-Roa MDL, Reveiz L, Ruíz-Godoy Rivera LM et al. Interventions for central giant cell granuloma (CGCG) of the jaws. Cochrane Database Syst Rev 2009;7:CD007404.
15. Baumhoer D, Brunner P, Eppenberger-Castori S et al. Osteosarcomas of the jaws differ from their peripheral counterparts and require a distinct treatment approach. Experiences from the DOESAK registry. Oral Oncol 2014;50:147-53.
Rengøringsservice i 20 år
Rengøringsservice i 20 år
Rengøringsservice i 20 år
Vi overholder de nationale infektionshygiejniske retningslinjer for hygiejne hos tandlæger. Med høj faglighed er vores medarbejdere rustet til opgaven.
Vi overholder de nationale infektionshygiejniske retningslinjer for hygiejne hos tandlæger. Med høj faglighed er vores medarbejdere rustet til opgaven.
Vi overholder de nationale infektionshygiejniske retningslinjer for hygiejne hos tandlæger. Med høj faglighed er vores medarbejdere rustet til opgaven.
Ring eller skriv – vi i er landsdækkende
Ring eller skriv – vi i er landsdækkende
Riing e eller skrriv – vi er landsdækkendde
Delta Rengøring
Delta Rengøring
Deelta Rengøriing g
ApS
Teglvej 1,4990 Sakskøbing
Tlf 4054 6546
Teglvej 1,4990 Sakskøbing Tlf 4054 6546
Teeglveej 1,4990 S Sakkskøøbing
Tllf 4054 6546
delta@delta-rengoering dk
delta@delta-rengoering dk
deltaa@ddeltaa--rengoering d dk
www.delta-rengoering.dk
www.delta-rengoering.dk

www.delta-rengoering.dk
Hvis jobannoncen bliver indrykket på både Dentaljob.dk og i Tandlægebladet, får du 50 % rabat på annoncen i bladet
BAGGRUND – Centralt kæmpecellegranulom (Central giant cell granuloma – CGCG) er en sjælden, godartet læsion, som nærmest udelukkende er lokaliseret til kæberne. Det har kliniske, radiologiske eller histologiske ligheder med flere andre intraossøse læsioner. Ætiologien er stadig ukendt, men det viser sig, at genetiske mutationer er associeret med forekomsten af CGCG.
PATIENTTILFÆLDE – Tre drenge i alderen fem og seks år blev alle diagnosticeret med og behandlet for større CGCG-læsioner med få måneders mellemrum på Tand-, Mund- og Kæbekirurgisk Klinik, Aarhus Universitetshospital.
KONKLUSION – Det er yderst relevant at følge børn med spontant og tidligt tandtab i kommunal tandpleje. Ved mistanke om patologiske forandringer henvises til hurtig udredning og diagnostik i hospitalsregi for at klarlægge diagnose og minimere skader på blivende tandanlæg og omkringliggende strukturer.
EMNEORD Central giant cell granuloma | giant cell lesions | jaw neoplasm | benign bone diseases
CHRISTIAN LIND AXELGAARD, specialtandlæge i tand-, mund- og kæbekirurgi, Speciialklinik for kæbekirurgi, Silkeborg
KIMIE BOLS ØSTERGAARD, tandlæge i videreuddannelse til specialtandlæge i tand-, mund- og kæbekirurgi. Kæbekirurgisk Afdeling, Aalborg Universitetshospital
SVEN ERIK NØRHOLT, klinisk professor, specialtandlæge i tand-, mund- og kæbekirurgi, ph.d., overtandlæge, Afdeling for Tand-, Mund- og Kæbekirurgi, Aarhus Universitetshospital, og Sektion for Kæbekirurgi og Oral Medicin, Institut for Odontologi og Oral Sundhed, Aarhus Universitet
PER JOHAN SIXTEN BLOMLÖF, overtandlæge, docent, ph.d., specialtandlæge i tand-, mund- og kæbekirurgi, Afdeling for Tand-, Mund- og Kæbekirurgi, Aarhus Universitetshospital
STEEN BÆRENTZEN, overlæge, Patologiafdelingen, Aarhus Universitetshospital
OTTO THORSSON, specialtandlæge i tand-, mund- og kæbekirurgi, Afdeling for Tand-, Mund- og Kæbekirurgi, Aarhus Universitetshospital Accepteret til publikation den 13. maj 2025 Tandlægebladet 2025;129:928-34

CKorrespondanceansvarlig førsteforfatter: CHRISTIAN LIND AXELGAARD christianlindaxelgaard@gmail.com
ENTRALT KÆMPECELLEGRANULOM (CGCG) er en sjældent forekommende, benign, destruktiv læsion i kæberne, som af WHO karakteriseres ved en uindkapslet spredning af mononukleære spindelformede og polygonale celler med tilstedeværelsen af osteoklastlignende, multinukleære kæmpeceller i en vaskulær baggrund (1). CGCG udgør ca. 7 % af alle benigne, tumorøse læsioner i kæberne (2). CGCG ses med øget hyppighed ved patienter med RASopatier, som er fænotypisk homogene grupper af genetiske syndromer, forårsaget af patogenetiske stamcellevariationer i dele af RAS/mitogen-activated protein kinase (RAS/MAPK) pathway (Faktaboks) (3); heriblandt neurofibromatose type 1 (NF1) og Noonans syndrom (NS) (4). CGCG forekommer også sporadisk uden kendte stamcellemutationer. Ved patienter med sporadiske CGCG ses også ofte genmutationer i MAPK-pathway proteiner som KRAS, FGFR1 eller TRPV4, hvilket tyder på en genetisk årsag for udvikling af CGCG (5-8).
MAPK-pathway’en er en af de vigtigste og mest undersøgte signaleringspathways. Den er centrum i et molekylært signaleringsnetværk, der styrer vækst, proliferation, differentiering og apoptose. Meget forenklet signalerer den gennem tyrosinkinasereceptorer, der fosforylerer et målprotein som respons på en stimulus, og dette sætter gang i reaktioner, som afgrænses ved defosforylering af et protein downstream. Den fungerer således som en kontakt, der kan tænde og slukke. Hvis der er mutationer i et af proteinerne i denne pathway, kan denne sidde fast i tændt eller slukket tilstand (9).
Sporadiske tilfælde af CGCG forekommer oftest i den anteriore del af mandiblen og debuterer typisk i de første tre årtier af livet (5). I de syndromiske tilfælde ses mere end 90 % posteriort for hjørnetænderne (10).
Læsionerne vokser normalt langsomt, men aggressiv adfærd er ikke ualmindeligt (2). CGCG opdeles i nonaggressive og aggressive subtyper (11), hvilket er vigtigt for valget af behandling, da de aggressive subtyper har en højere recidivtendens (10,12). Histologisk er CGCG identisk med ”Brown tumor”, som ses ved hyperparatyroidisme, men denne tilstand rammer typisk patienter over 50 år. Derfor er det vigtigt med en

Fig. 1. Centralt kæmpecellegranulom i kæbe (A) med ossøs kæmpecelletumor/ osteoklastom i os sacrum til sammenligning (B). Kæmpeceller af osteoklastlignende type (tykke pile) ses af lille til moderat størrelse i kæmpecellegranulomet og af moderat til stor størrelse i kæmpecelletumorer. De mononukleære celler (tynde pile) ses tenformede i fibrøs matrix i kæmpecellegranulomet og anderledes plumpe uden matrixdannelse i kæmpecelletumoren.
Fig. 1. Central giant cell granuloma in the jaw (A) with giant cell tumor of bone/ osteoclastoma in the sacrum for comparison (B). Giant cells of osteoclast-like type (thick arrows) are seen in small to moderate size in the giant cell granuloma and in moderate to large size in the giant cell tumor. The mononuclear cells (thin arrows) appear spindle-shaped in a fibrous matrix in the giant cell granuloma and rather plump without matrix formation in the giant cell tumor.
endokrinologisk udredning for at sikre korrekt diagnose (13). Yderligere er det væsentligt at pointere, at CGCG ikke er det samme som den ossøse kæmpecelletumor/osteoklastom (Fig 1.), der praktisk taget aldrig ses i kæberne, men i stedet i lange rørknoglers epifyser og aksiale skelet og har en helt anden genetisk baggrund med mutation i H3F3A-genet, er endnu mere lokalt aggressiv og endda har en ganske lille risiko for hæmatogen metastasering og malign omdannelse (14).
PATIENTTILFÆLDE 1
Anamnese
En seksårig dreng blev henvist til en second opinion fra Pædiatrisk Afdeling, Aalborg Universitetshospital, hvortil patienten i første omgang var henvist med mistanke om malignitet eller kæmpecelletumor. Patienten havde spontant tandtab i fireårsalderen uden andre symptomer.
Klinik
Ved klinisk undersøgelse blev der observeret en blålig hævelse anteriort i underkæbefrontregionen.
Røntgen
CT-scanning viste diffus osteolyse i mandiblen fra midtlinjen og mod venstre, med involvering af -1,2. Destruktionen og ekspansionen havde ikke forårsaget resorption af tænderne (Fig. 2-3).
Histologi
Tidligere biopsi havde vist CGCG eller perifert kæmpecellegranulom. Ved ny patologisk gennemgang af præparatet blev CGCG bekræftet. Molekylærpatologisk analyse viste en KRASmutation, der understøttede diagnosen.
Patienttilfælde 1 – Præoperativ CT-scanning








Forløb
Patienten gennemgik en kirurgisk enukleering af tumor med bevaring af tænderne i samarbejde med Øre-, Næse- og Halskirurgisk Afdeling på AUH. Til etårs kontrol var der pågående ossøs heling og pæne kliniske forhold (Fig. 4-7).
PATIENTTILFÆLDE
Anamnese
En femårig dreng blev henvist fra den kommunale tandpleje med mistanke om cyste i underkæbefronten. Patienten havde mistet sine primære underkæbeincisiver som toårig og blev fulgt med intraorale røntgenbilleder. Han havde ikke haft symptomer, men oplevede let mobilitet af tænderne i området.


Sporadisk og tidligt tandtab kan skyldes forskellige patologiske tilstande med meget forskellige prognoser og behandlinger. Derfor er tidlig diagnostik vigtigt for at sikre den rigtige behandling på det rigtige tidspunkt.


Klinik
Ved klinisk undersøgelse blev der observeret blålig hævelse anteriort i underkæbefronten.
Røntgen
En CBCT-scanning viste omfattende ossøs destruktion og displacering af rødderne (Fig. 8-9).
Histologi
Ved CGCG og enukleering blev der påvist KRAS-mutation.
Forløb
Initialt blev læsionen biopteret, hvorefter patienten blev udredt for eventuel hyperparatyroidisme, som blev afkræftet. Læsionen blev herefter enukleeret, og ved etårs kontrol var der pågående ossøs heling, forbedret tandstilling og fortsat udvikling af rødderne på nabotænderne (Fig. 10-11).
PATIENTTILFÆLDE 3
Anamnese
En femårig dreng blev henvist fra den kommunale tandpleje grundet spontant tandtab af 03+ og 02+ indenfor få måneder samt sporadiske smerter i området.
Klinisk
Klinisk undersøgelse viste en blålig hævelse af processus alveolaris.
Røntgen
Panoramaoptagelse viste radioluscens i region 3, 2, 1+ med resorption af 01+ (Fig. 12-14).
Histologi
Biopsi var foreneligt med CGCG, og molekylærpatologisk analyse viste en mutation i FGFR1. Der blev ikke fundet RNAfusioner, som indikerede, at der ikke var tale om aneurysmal knoglecyste.
Forløb
Den indledende behandling blev udført i generel anæstesi med biopsi samt blodprøver til udredning for hyperparatyroidisme. Blodprøver viste let forhøjet parathyroideahormon (PTH) på 8,4 og normale værdier for plasma calcium, totalt calcium og fosfat. Den videre udredning for hyperparatyroidisme blev foretaget af Center for Sjældne Sygdomme. Opfølgende blod- og urinprøver viste alle normale forhold og ligeledes ingen tegn på hyperparatyroidisme. Den endelige behandling blev udført kort tid efter i form af enukleering af læsionen. Til etårs kontrol var der pæne kliniske og radiologiske forhold. Tandanlæggene var forskubbet, men erupterende og kontrolleres i børne- og ungetandplejen.
DISKUSSION
CGCG deler kliniske og radiologiske træk med andre kæmpecellelæsioner såsom kæmpecelletumor, solid aneurysmal knoglecyste, kerubisme og Brown tumor samt andre læsioner uden



kæmpeceller såsom ameloblastom og keratocyste. Grundig udredning med anamnese, biokemi og biopsi er afgørende for at sikre korrekt diagnose og valg af behandlingsmetode. Den primære behandlingsmetode ved CGCG forbliver enukleering, men ved større læsioner kan resektion og samtidig rekonstruktion være indiceret (15). Kæmpecelletumorer behandles mere radikalt pga. risiko for metastasering og malign transformation (14). Således kan korrekt diagnose forhindre unødvendige, mutilerende indgreb.
Der er fortsat debat om medicinsk behandling som alternativ eller supplement, men evidensen for medicinske interventioner såsom calcitonin, glukokortokoid eller bisphosphonat er indtil videre begrænset (16). Tandlægerne i den kommunale tandpleje, hvor patienterne ses regelmæssigt, kan medvirke
til tidlig diagnose og intervention. Hvis man oplever tidligt og spontant tandtab, som ikke kan forklares af traumer, kan man overveje udredning for eventuel patologisk tilstand. Da aggressiv vækst kan forekomme, er hurtig diagnostik værdifuldt for at kunne fjerne processen skånsomt og uden mutilerende indgreb.
KONKLUSION
Det er vigtigt at følge børn med spontant og tidligt tandtab. Mistanke om patologiske tilstande bør føre til udredning og diagnostik eventuelt i hospitalsregi for at udelukke patologisk tilstand samt minimere skader på blivende tandanlæg og omkringliggende strukturer. Korrekt diagnostik er essentielt for at sikre det rigtige behandlingsvalg.
THREE BOYS UNDER THE AGE OF SEVEN WITH CENTRAL GIANT CELL GRANULOMAS
BACKGROUND – Central giant cell granuloma (CGCG) is a rare, benign lesion almost exclusively located in the jaw. It has similarities either clinically, radiologically or histologically to many other intraosseous lesions. The etiology is still unknown, but genetic mutations are linked to the occurrence of CGCG.
STUDY CASES – Three boys between the age of 5 and 6 years were diagnosed and treated for large CGCGs as much at the
same time at the Department of Oral and Maxillofacial Surgery, Aarhus University Hospital.
CONCLUSION – It is highly relevant to monitor children with spontaneous and early tooth loss in municipal dental care. With suspected pathological changes referral for rapid assessment and diagnostics in a hospital setting is important for minimizing damage to permanent tooth buds and surrounding structures.
1. WORLD HEALTH ORGANIZATION. WHO classification of head and neck tumours, 4th ed. Lyon, France: IARC Press; 2017.
2. Etoz M, Asantogrol F, Akyol R. Central giant cell granulomas of the jaws: retrospective radiographic analysis of 13 patients. Oral Radiol 2020;36:60-8.
3. Rauen KA. Defining RASopathy. Dis Model Mech 2022;15:dmm049344.
4. Miloro M, Quinn PD. Synchronous central giant cell lesions of the jaws: report of a case and review of the literature. J Oral Maxillofac Surg 1995;53:1350-5.
5. Ramesh V. “Central giant cell granuloma” – an update. J Oral Maxillofac Pathol 2020; 24: 413-5.
6. Ruddocks LA, Nascimento AF, Bhattacharyya I et al. Central odontogenic fibroma in association with brown tumor of hyperparathyroidism in a patient with neurofibromatosis type 1. Oral Surg Oral Med Oral Pathol Oral Radiol 2022;133:e26-32.
7. Luna M, Wolsefer N, Zambrano CX et al. Giant cell lesions of the jaws involving RASopathy syndromes. Acta Stomatol Croat 2022;56:77-88.
8. Gomes CC, Gayden T, Bajic A et al. TRPV4 and KRAS and FGFR1 gain-of-function mutations drive giant cell lesions of the jaw. Nat Commun 2018;9:4572.
9. Orton RJ, Sturm OE, Vyshemirsky V et al. Computational modelling of the receptor-tyrosine-kinase-ac-
tivated MAPK pathway. Biochem J 2005;392 (Pt2):249-61.
10. Chrcanovic BR, Gomes CC, Gomez RS et al. Central giant cell lesion of the jaws: an updated analysis of 2270 cases reported in the literature. J Oral Pathol Med 2018;47:731-9.
11. Chuong R, Kaban LB, Kozakewich H et al. Central giant cell lesions of the jaws: a clinicopathologic study. J Oral Maxillofac Surg 1986;44:708-13.
12. Kruse-Lösler B, Diallo R, Gaertner C et al. Central giant cell granuloma of the jaws: a clinical, radiologic, and histopathologic study of 26 cases. Oral Surg Oral Med Oral Pathol Oral Radiol Endod 2006;101:346-54.
13. Keyser JS, Postma, GN. Brown tumor of the mandible. Am J Otolaryngol 1996;17:407-10.
14. Hoarau E, Quilhot P, Baaroun V et al. Oral giant cell tumor or giant cell granuloma: how to know? Heliyon 2023;9:e14087.
15. Thesbjerg K, Reibel J, Pinholt EM. Centralt kæmpecellegranulom – diagnostik og behandling. Tandlægebladet 2010;114:87684.
16. de Lange J, van den Akker HP, Veldhuijzen van Zanten GO et al. Calcitonin therapy in central giant cell granuloma of the jaw: a randomized double-blind placebo-controlled study. Int J Oral Maxillofac Surg 2006;35:791-5.
I podcasten Odontoverset nørder vi odontologi og stiller skarpt på arbejdsliv, karriere og faglighed.
Find Odontoverset i din foretrukne podcast-app.
HVAD ER EN EKSOSTOSE? Hvordan diagnosticerer man den? Hvornår skal man behandle og hvordan? Få svarene i denne udgave af Tandlægebladets faglige guide.
TEKST SIMON STORGÅRD JENSEN, PROFESSOR, SPECIALTANDLÆGE, OVERTANDLÆGE, DR.ODONT., ODONTOLOGISK INSTITUT, KØBENHAVNS UNIVERSITET OG AFDELING FOR KÆBEKIRURGI, RIGSHOSPITALET OG KIM ANDREASEN, JOURNALIST
1
En eksostose er en godartet knogleudvækst, som kan opstå hvor som helst i kroppen, herunder på kæbeknoglerne. Mellem 5 og 30 % af verdens befolkning oplever eksostoser. Udvæksten opstår typisk i puberteten og fortsætter med at vokse ind i voksenalderen.
Eksostoser viser sig oftest som lobulære fremspring på den lingvale side af mandiblen eller centralt i den hårde gane. De kan også vokse på den bukkale side af processus alveolaris eller som simple solitære udvækster på mandiblens lateralflader.
Oftest opdages eksostoser af patienten selv eller i forbindelse med en undersøgelse hos tandlægen. Større eksostoser kan medføre, at patienten får vanskeligt ved at tygge normalt, og de kan kompromittere mundhygiejnen, give talebesvær, tilbagevendende traumatiske sår samt inflammation i mundslimhinden.
Eksostoser består enten af hyperplastisk kompakt knogle alene eller af

EKSOSTOSER. Store eksostoser kan give forskellige funktionsvanskeligheder.
perifer kompakt knogle med et center af spongiøs knogle. Klassisk er eksostoser dækket af en særdeles tynd slimhinde.
De to mest almindelige typer af eksostoser er torus mandibularis og torus palatinus.
¾ Torus mandibularis er en hård udvækst på den lingvale side af mandiblen, som oftest forekommer bilateralt. Store tori mandibulares kan påvirke patientens tale og forstyrre synkefunktionen.
¾ Torus palatinus er en knogleudvækst af varierende størrelse, der oftest forekommer centralt i den hårde gane. Patienter kan opleve ubehag i form af sår og traumer, når de spiser, samt talebesvær.
En radiologisk undersøgelse kan bidrage til at bestemme størrelsen samt eventuelle relaterede patologiske forhold og omkringliggende anatomiske strukturer som maksil, sinus maxillaris og mandibel.
Start den kliniske undersøgelse med inspektion og palpation, hvor du bedømmer størrelsen af eksostosen. Ligger den tæt på tænder eller andre anatomiske strukturer? Ud fra dette samt patientens eventuelle subjektive klager afgør du, om der er indikation for kirurgisk fjernelse.
Kirurgisk behandling (se faktaboks) kan være nødvendig, hvis eksostosen er genstand for hyppige traumer, hæmmer den orale funktion eller kompromitterer planlagt eller eksisterende protetisk behandling. I beslutningen om kirurgi bør risikoen for skade på omgivende tænder også indgå.
Efter operationen anbefales det, at patienten skyller mund med klorhexidin
1. Lokal anæstesi
2. Lingval eller palatinal adgang. Tori mandibulares vil typisk fjernes via en lingval marginal incision, mens tori palatini fx kan fjernes via et T-formet snit
3. Frilægning af eksostosen
4. Separation ved hjælp af bor – alternativt kan en piezotome anvendes
5. Eventuel supplerende osteotomi med osteotom – alternativt luksator. Vær forsigtig ved anvendelse af osteotom rettet mod mundbunden
6. Afglatning af skarpe kanter
7. Skylning med fysiologisk saltvand
8. Suturering af slimhinden
9. To ugers postoperativ kontrol og fjernelse af sutur
mundskyl 0,1 % to gange dagligt i en uge. Postoperative smerter lindres mest effektivt med ibuprofen 400 mg efter behov, maksimalt fire gange i døgnet. Prognosen for kirurgisk fjernelse af eksostoser er god. Risikoen for, at en eksostose recidiverer efter kirurgisk fjernelse, er lav. ♦
Kilde: Kilde: Öven RM. Exostoser (Set 2025 november). Tilgængelig fra: URL: https://www.internetodontologi.se/kakkirurgi/exostoser/

Efter de første skridt ud i tandlægelivet begynder hverdagen langsomt at falde på plads – men samtidig åbner nye udfordringer og erkendelser sig. Hvordan udvikler de tre unge tandlæger Saad, Karoline og Mathilde sig, når rutinerne tager form, og virkeligheden på klinikken for alvor sætter teorien fra skolen på prøve? To år efter vores første møde har Tandlægebladet genbesøgt dem. Dette er anden del i serien.
NYUDDANNEDE Karoline Kousgaard blev overrasket over tempoet, forventningerne og alt det usynlige, som fulgte med på arbejdsmarkedet. Her to år senere står hun stærkere - og ved langt bedre, hvem hun er som tandlæge.


Bossanova flyder ud af højttalerne, mens kanelsnurrer og croissanter skifter hænder over disken. Caféens vægge er dækket af jordfarver og mørkegrønt, og gennem de store vinduer vælter morgentrafikken ned ad Amagers gader, hvor nyt byggeri støder op mod ældre, aflange boligblokke. Midt i summen af kaffetørstige gæster sætter Karoline Jacqueline Kousgaard sig til rette med en cappuccino mellem hænderne. Hun smiler. Men hun holder ikke længe blikket på skummet, før hun begynder at tale om noget, hun ville ønske, hun havde vidst, før hun blev færdiguddannet.
- Nej… jeg var ikke godt nok rustet, siger hun uden tøven.
Mødet med virkeligheden
Karoline arbejdede fem år på at blive tandlæge, og da hun trådte ud i sit første fuldtidsjob, var forventningerne høje – især hendes egne.
- Jeg troede, jeg havde styr på det meste. Og så fandt jeg ud af, at jeg faktisk slet ikke havde styr på noget, siger hun med et tørt grin.
Det, der ramte hende hårdest, var ikke rodbehandlingerne, fyldningerne eller fagligheden. Det var alt det udenom:
- Jeg vidste intet om journalsystemer, ydelser, forsikringer, kommunesager.
Jeg havde aldrig prøvet at have 12-15 patienter på en dag. Det var overvældende hele tiden at skulle omstille sig. På studiet ved du præcis, hvem du skal behandle. I virkeligheden er det et helt andet tempo og nogle andre ting, der spiller ind.
Hun tager en tår af kaffen og kigger ud på Amagers travle gade. Indenfor går snakken ivrigt mellem gæsterne.
Et pres, hun selv satte på sig Selvom hendes arbejdsplads ikke forventede, at hun kunne alt fra første dag, gjorde hun det selv.
- Jeg ville så gerne vise, at jeg kunne noget. Men jeg var jo ny. Det tog mig
rigtig lang tid at lande i det og blive sikker. Først sidste sommer begyndte jeg for alvor at føle mig tryg i det.
Det blev også en mental omvæltning at gå fra studieliv til fuldtidsarbejde:
- På studiet er man konstant omgivet af venner, som er på samme niveau som en selv. Pludselig står man alene blandt kolleger, der er ældre og erfarne. Man kan vel sammenligne det med et barn, der starter i institution. Den ene dag er man hjemme i trygge omgivelser, den næste dag skal man stå på egne ben. Man har nogle kompetencer, men man aner ikke, hvordan man bruger dem i praksis.
Fra børn til voksne: det faglige kald Karoline begyndte med at arbejde både i den kommunale tandpleje i Nyborg og i privat praksis i Odense – tre dage det ene sted, to det andet.
- Børn udfordrer én pædagogisk og psykologisk. Men fagligt gjorde de ikke. Man laver jo sjældent kirurgi, kroner eller rodbehandlinger på børn – og det skal man jo helst heller ikke. Jeg savnede at udvikle mig som håndværker.
Alligevel mener Karoline, at kombinationen af tempoet i det kommunale og teknikken i det private i begyndelsen var perfekt.
- Det vil jeg anbefale mange. Det gav mig en rolig start, men med faglig udvikling.
I dag arbejder hun fire dage om ugen i privat praksis i centrum af Odense – og stortrives.
Et sikkerhedsnet på 45 ansatte
Karoline er den eneste nyuddannede tandlæge, klinikken nogensinde har ansat.

- Måske valgte de at satse på mig, fordi jeg selv var patient der, før jeg blev uddannet tandlæge, griner hun.
gav
Særligt størrelsen på klinikken og den faglige sparring har betydet meget for arbejdslivets begyndelse.

- Jeg har en leder lige ved siden af mig, som altid er klar til at hjælpe. Det har gjort, at jeg har haft modet til at kaste mig ud i ting, jeg ellers ikke havde turdet. Og fordi vi er en stor klinik, er der altid nogen, der ved præcis det, du står og bøvler med. Det har givet mig en enorm tryghed.
De gyngende øjeblikke
– og de mange hatte
Men selv med støtte bag sig har der været øjeblikke, hvor hun følte sig ude, hvor hun ikke kunne bunde.
- Visdomstænder kan være intense. Der har været mange situationer, hvor jeg tænkte: Hvad laver jeg? Men så må man hente hjælp og have is i maven.
Og så er der selve arbejdslivet som tandlæge, som også kan sende Karoline ud på gyngende grund:
JACQUELINE
KOUSGAARD
27 år
Arbejder som tandlæge hos ORIS Tandlægerne i Odense
Uddannet fra Københavns Universitet i juni 2023
- Du har ingen pauser – medmindre der kommer et afbud. Du er på, fra du træder ind, til du går ud. Du er økonomichef for dine patienter, kommunikationschef, jurist, psykolog – og oveni det skal du være teknisk dygtig. Det er noget af det, der godt kan dræne mig.
Det menneskelige spiller en vigtig rolle
Noget af det, der står klarest for hende nu, er, hvor meget det betyder at være nærværende og tage sig den tid, som det tager.
- Du sidder så tæt på folk, og mange er bange. Jeg vil hellere bruge fem minutter mere, lægge en hånd på deres skulder og se dem i øjnene. Jeg vil ikke være den tandlæge, der giver nogen tandlægeangst.
Hun smiler lidt.
- Man kan være nok så dygtig en håndværker, men uden det menneskelige kommer man ingen vegne.
Pendlerlivet – og et kommende farvel til København
I to og et halvt år har hun pendlet mellem København og Odense. Dagen starter 5.35 og slutter 17.30. Søndag aften forberedes maden til hele ugen. Tasken pakkes. Alt lægges klar.
- Det begrænser mit privatliv, men det lægger også en naturlig pause ind i hverdagen, som jeg er kommet til at sætte pris på. Men nu glæder jeg mig til at slippe det.
Til sommer flytter hun og kæresten nemlig til Odense – både for at få mere overskud og fordi ønsket om et fremtidigt familieliv er begyndt at melde sig. Nu bliver det kærestens tur til at pendle til København.
- Det er vemodigt at forlade København, men tiden er rigtig, siger Karoline, som håber, at flytningen kommer til at give hende noget mere overskud i hverdagen.
Klinikejer? Ja – men på en anden måde
Da Tandlægebladet sidst talte med Karoline, drømte hun om at blive klinikejer. Det gør hun stadig, men drømmen har ændret form.
- Jeg troede, man stadig havde sin egen lille klinik. Men fremtiden ligger nok i kæder eller deleje. Måske bliver jeg leder et sted, hvor jeg har en andel. Jeg vil stadig gerne tage det til et højere niveau, men jeg har ikke travlt, og jeg skal helt sikkert have noget mere erfaring, inden jeg tager det skridt.
Et råd til fremtidens nye tandlæger
Inden hun rejser sig, deler hun det bedste råd, hun selv har fået:
- Find ud af, hvem du er som tandlæge – og hold fast i det. Du kan ikke passe til alle patienter. Så går du i stykker.
Og så tilføjer hun:
- Og lad være med at lade pendling afskrække dig fra et godt job. Man kan få det til at fungere. Og man kan få nogle virkelig gode, fagligt udviklende jobs, hvis man er villig til at flytte sig lidt for det.




DA
I dag har han fundet sin rytme, sin faglige ro – og glæden ved at følge patienter over tid. Erfaringen har givet ham både selvtillid og balance i hverdagen.
TEKST SOFIE SPARRE
FOTO THOMAS NIELSEN
For to og et halvt år siden stod Saad Khan med eksamensbeviset i hånden og skulle for første gang omsætte teori til praksis. I dag har han fundet sig til rette i rollen som tandlæge. Han har skiftet job, fået mulighed for at følge sine patienter over tid og mærker, hvordan erfaringen har givet ham større ro og selvtillid i faget.
Dengang talte Tandlægebladet med ham kort efter, at han havde landet sit første job i den kommunale tandpleje i Stevns Kommune. Nu har vi mødt ham igen for at høre, hvordan de første år som tandlæge har formet både fagligheden og hverdagen.
Jobbet på Stevns blev en god start på arbejdslivet, men også en praktisk ud-
fordring. Den daglige pendlertur fra Ishøj betød tidlige morgener og lange dage, og efter et halvt år besluttede Saad at søge tættere på hjemmet.
- Jeg skiftede mest af alt på grund af transporttiden. Da jeg arbejdede på Stevns, skulle jeg køre hjemmefra kl. seks om morgenen. Nu kan jeg køre kl. syv og stadig nå det. Det giver mig en hel times ekstra søvn og et mere balanceret hverdagsliv, fortæller han.
Siden januar 2024 har han været ansat i den kommunale tandpleje i Furesø Kommune. Her fik han foden indenfor takket være både netværk og de første erfaringer fra Stevns.
- Jeg var så heldig at kende nogen i kommunen, som vidste, at de manglede én. Samtidig tror jeg, det hjalp, at jeg havde fået lidt erfaring fra Stevns. Det gjorde jobsøgningen lettere, siger han.

Erfaring giver ro i maven
Hvor Saad som nyuddannet ofte tvivlede på, om hans behandlinger var gode nok, har de seneste to år givet ham ro i maven.
- Det er blevet markant bedre. Nu har jeg haft mulighed for at følge mine patienter over tid, og det betyder alt. I den kommunale tandpleje laver vi standardundersøgelser med 1-1,5 års intervaller. Det betyder, at jeg allerede har nået at følge op på de patienter, jeg så i starten – og det giver læring. Nogle gange kan jeg se, at noget kunne være gjort anderledes, og andre gange kan jeg se, at behandlingen har holdt rigtig fint. Det giver selvtillid, siger han.
Patientgruppen består primært af børn og unge op til 21 år. Men i Furesø har Saad også opgaver i Social- og Om-
sorgstandplejen, og det har åbnet en ny faglig verden.
- Det var ikke noget, jeg specifikt søgte – det fulgte med jobbet. Men jeg er virkelig glad for det. Det giver indblik i en helt anden patientgruppe, både ældre og borgere med sociale udfordringer. Det giver faglig bredde og variation i hverdagen.
Den del af arbejdet rummer også tæt samarbejde med plejehjemmene, hvor tandplejen kommer på besøg.
- Det er lærerigt at se deres hverdag. Mange kan ikke børste tænder selv og skal have hjælp – og det stiller helt andre krav. På nogle måder minder det faktisk om det, vi laver på børn. Men det er klart, at de ældre har en anden forståelse af det at skulle have hjælp til at børste tænder.
Fra teori til praksis – version 2.0
Da vi interviewede Saad i 2023, oplevede han – som de fleste nyuddannede – at teori og praksis langt fra er det samme. Den erkendelse står stadig ved magt, men han håndterer den anderledes i dag.
- På skolen har man to-tre patienter om dagen og god tid. Pludselig sidder man med 12-13 patienter på en arbejdsdag og kun 20 minutter pr. patient. Man lærer hurtigt, men det er en stor omstilling. Jeg følte mig godt rustet, da jeg forlod skolen, men man bliver også hurtigt bevidst om alt det, man ikke har prøvet. Det var især de første møder med komplekse behandlingssituationer, der udfordrede.
- Jeg har stået i situationer, hvor jeg ikke følte mig helt rustet. Fx en patient med autisme. Selve behandlingen var simpel, men udførelsen var svær. Jeg havde heldigvis en kollega at sparre med, både før og under behandlingen, og bare dét at vide at der er et sikkerhedsnet gør en kæmpe forskel.
Ny viden møder erfaring
Som yngre tandlæge oplever Saad, at hans opdaterede teoretiske viden bringer værdi til klinikken.
- Mange af mine mere erfarne kolleger kommer og spørger mig til råds, fordi jeg har den nyeste viden med mig fra skolen. Det giver et fedt samspil – de har erfaringen, jeg har de nyeste faglige input. Kombinationen fungerer rigtig godt på klinikken.
Samtidig oplever han, at Furesø giver ham ansvar og mulighed for at udvikle sine færdigheder.
- Jeg får lov til at lave meget. Nogle af mine kolleger i andre kommuner fortæller, at man kan blive meget specialiseret i kun én type behandling. I Furesø får jeg lov til at lave hele paletten – fx også at fjerne visdomstandstænder. Det har udviklet mig meget.
Selvtilliden har fået et løft
Spørger man Saad, hvad der har ændret sig mest siden 2023, er svaret klart:
- Jeg er blevet meget mere selvsikker. Jeg har fundet en rutine, og jeg tør hoppe ud i situationer, som tidligere virkede udfordrende. Når noget lykkes, vokser man – og så tør man endnu mere næste gang.
Han understreger dog, at det kræver, at man som ny tør række ud:
- Man skal turde sige højt, at man er ny og har brug for hjælp. På studiet ligger ansvaret på underviserne – i jobbet er det dit. Derfor er det vigtigt at søge sparring.
Drømmestillingen er udskudt
For Saad er målet at kombinere den kommunale tandpleje med det private. Drømmen er dog skudt til hjørne lige nu – af private årsager:
- Jeg vil stadig gerne kombinere de to sektorer på et tidspunkt. Men jeg skal snart være far, og der er nogle goder ved den kommunale ansættelse, når man får familie – fx en længere barsel end i det private. Så drømmen er der stadig,
men lige nu ligger den lidt længere ude i fremtiden.
Råd til nye tandlæger: Tag det roligt – og tør søge ud Saad oplever, at mange nyuddannede har travlt med at komme videre til “det næste og bedre job”. Hans erfaring har lært ham noget andet:
- Man skal ikke være bange for at søge uden for de store byer som første job. Hvis man kan trives med at pendle, kan det være en rigtig god trædesten – det var det for mig. Og vigtigst: Stol på din teoretiske viden. Det praktiske håndværk skal nok komme.

26 år
Arbejder som tandlæge i Furesø Kommunale Tandpleje
Uddannet fra Københavns Universitet i juni 2023
DET VAR IKKE PLANEN at forlade Aarhus, men det blev nødvendigt for at få arbejdslivet til at fungere.
Nu forsøger Mathilde Tank-Baaskjær at finde ro i en ny by, et nyt hus og en hverdag, hvor fagligheden skal vokse side om side med familielivet.
TEKST
Udenfor er novemberkulden for alvor begyndt at bide, men indenfor er der julemusik i højtalerne og ro om bordene. Der hænger brunkagehuse i røde silkebånd fra loftet, og duften af vaniljekranse blander sig med nybrygget kaffe i Lagkagehuset i Bredballe Centeret. Her møder vi Mathilde TankBaaskjær. Det er to år siden, vi sidst talte med hende, dengang i en lille lejlighed på Frederiksbjerg i Aarhus, hvor kaffekopperne blev drukket mellem vagter og lange køreture.
Nu er meget forandret. Ikke mindst fordi Mathilde er blevet mor, og hun og
kæresten Anders har rykket hele deres liv til en by, ingen af dem kendte i forvejen.
Da jobbet bestemte postnummeret
Da Mathilde blev færdiguddannet for to og et halvt år siden, pendlede hun mellem Aarhus og sine to jobs i Varde og Bramming. Hun overnattede jævnligt hos sine svigerforældre for at få hverdagen til at hænge sammen. Da hun i sommeren sidste år blev gravid, stod det klart, at det ikke var en holdbar løsning. Løsningen blev at flytte, men det er stadig tydeligt, at beslutningen var svær.
Jeg ville lyve, hvis jeg sagde, at jeg ikke savner Aarhus. Hvis jeg havde fået et job tæt på byen, var vi aldrig flyttet. Men det kunne jeg bare ikke – og det fungerede ikke længere at pendle fra

Aarhus til Varde og Esbjerg. Slet ikke, når vi også skulle have et barn. Derfor var det også en nødvendig beslutning at tage for parret:
Det blev for langt for mig at køre. Det betød, at vi blev sådan nogle weekendkærester – og det holdt jo ikke. Da jeg

fandt ud af, at jeg var gravid, sagde vi lejligheden op og besluttede, at det var nu, vi skulle tage skridtet.
At valget faldt på Vejle, skyldtes logistikken. Anders’ arbejde er i Vejle, men han kører rundt i både Jylland og på Fyn, og Mathildes to jobs ligger i Vest-
jylland. Bredballe blev det kompromis, hvor hverdagen kunne gå op.
Nu sidder de i et nyrenoveret hus med plads, lys og have – noget helt andet end lejligheden i Aarhus.
- Vi er faktisk blevet virkelig glade for at bo her, fortæller Mathilde og kigger
ud mod parcelhuskvarteret, der omkranser Bredballe Centeret, hvor Lagkagehuset ligger.
Tilbage til en lang hverdag
Da vi taler med Mathilde, står hun lige over for at skulle skifte barnevog-
nen ud med bilen. I første omgang arbejder hun to dage om ugen i en privat klinik i Varde, men efter et par uger skal hun op på fuld tid, når hun supplerer med tre dage i den kommunale tandpleje i Bramming.
- Jeg glæder mig til at bruge mine hænder igen. Men det er også ambivalent, siger hun stille.
- Det er mange timer, man skal være væk fra sit barn, når man har været vant til at være sammen hele tiden.
Hverdagen bliver lang. En time og ti minutters transport til Varde. Lidt under en time til Bramming. Arbejdstider fra 8-15 tre dage om ugen og 8-17 to dage.
- Lige nu giver det mening at være afsted mange timer, når jeg nu alligevel kører så langt. Men jeg kan da godt forestille mig, at jeg på sigt skal ned i tid. For at få hverdagen til at fungere.
To forskellige tandlægeverdener
Mathilde har efterhånden fået indblik i to meget forskellige tandlægeverdener i det kommunale og det private.
- Selv om man er tandlæge begge steder, så er det virkelig to vidt forskellige jobs. I det private bliver jeg fagligt udfordret med kroner, broer, protetik, alt det tekniske. I det kommunale bliver jeg menneskeligt udfordret. Når man arbej-

der med børn, skal hovedet være med på en helt anden måde. Man bruger meget pædagogik og psykologi, og det udfordrer på en anden måde.
Hvis jeg havde fået et job tæt på byen, var vi aldrig flyttet
Hun siger det med et grin, men det er tydeligt, at det er en sandhed for hende: - Jeg er fagligt træt efter en dag i det private – og menneskeligt træt efter en dag i det kommunale.
Hun indrømmer også, at selv om hun efterhånden har nogle års erfaring, så føler hun sig nogle gange stadig ny. Og at det måske hænger sammen med, at hun har valgt at dele sit arbejdsliv op mellem det kommunale og det private.
- Jeg har lært meget. Virkelig meget. Men jeg mangler stadig erfaring. Jeg er ikke så hurtig endnu. Jeg kan se på nogle af mine medstuderende, der er startet på fuld tid i det private, at de har fået en helt anden rutine og erfaring, end jeg har. Men heldigvis er jeg ansat steder, hvor der har været plads til at være ny.
Et hårdt møde med arbejdsmarkedet
Vejen ind på arbejdsmarkedet var ikke nem for Mathilde, som flere gange vender tilbage til en bestemt sætning:
- Jeg synes oprigtigt, det er megaærgerligt, at det er så svært at få job som nyuddannet.
Hun uddyber:
- Vi får at vide på skolen, at det ikke er et problem at få et job. At det nok skal løse sig, og at vi ikke behøver at bekymre os. Men det er bare ikke rigtigt. Det er dem, der flytter langt væk fra de store
byer, som får job hurtigst. Der er mange klinikker, der gerne vil have en med erfaring – men vi får jo ikke erfaring, hvis ikke vi får lov at starte et sted.
Selv om hun ikke lægger skjul på, at hun allerhelst ville være blevet i Aarhus, så er hun alligevel glad for at være endt, hvor hun er.
- Jeg har nogle virkelig dygtige kolleger og chefer, både i det private og det kommunale, som har tid til at lære fra sig. Det betyder alt. Jeg tror, at hvis jeg var blevet i Aarhus, så var jeg ikke sikker på, at jeg havde været så heldig at finde et job, hvor jeg havde fået den samme hjælp. Og jeg kan jo altid søge mod en større by, når jeg har noget mere erfaring at komme med.
“Det er et svært tidspunkt i livet” Hvad fremtiden bringer er endnu ikke besluttet. Mathilde sidder stille et øjeblik, inden hun siger:
- Jeg er et sted i livet, hvor alt sker på én gang. Jeg vil gerne udvikle mig fagligt. Vi har lige købt hus. Vi har fået barn. Og vi skal finde os til rette et nyt sted. Der er en forventning om, at man skal kunne det hele samtidig.
- Hvis jeg kunne have valgt, ville jeg nok gerne have haft lidt mere erfaring, før jeg fik et barn. Men sådan fungerer livet jo ikke. Det passer aldrig perfekt, siger hun og fastslår, at selvom der ikke er lagt faste planer for, hvordan arbejdslivet skal se ud i fremtiden, så er noget dog på plads:
- Der skal være plads til familielivet. Så det skal mit arbejdsliv kunne rumme.
Find et sted, hvor du kan udvikle dig
Selv om Mathilde synes, at hun stadig mangler en del erfaring for at finde det helt rette fodfæste i jobbet som tandlæge, så har hun alligevel et godt råd, som hun vil give videre til de nye tandlæger, der står og skal ind på arbejdsmarkedet.
- Hold fast i dig selv. Find et sted, hvor du kan få hjælp og tage den tid, du har brug for. Hurtighed og håndelag skal nok komme med tiden. Vælg en arbejdsplads, hvor der er plads til, at du kan

udvikle dig. Et sted, hvor du ikke bliver presset ind i et tempo, du ikke er klar til. Det kan virkelig præge din start på arbejdsmarkedet.
- Og så skal du ikke være bange for at flytte dig – hvis det altså passer ind i dit liv. Jeg er glad for, at vi gjorde det. For mig betød det, at jeg fandt nogle arbejdspladser, hvor der er den støtte og de muligheder, som jeg har haft brug for for at udvikle mig som tandlæge. ♦
29 år
Arbejder som tandlæge i Esbjerg Kommunale Tandpleje i Bramming og i privat praksis i Varde
Uddannet fra Aarhus Universitet i juni 2023
I PROJEKTET ”SUND MUND HELE LIVET” fik forskerne især øjnene op for tandskam og alle de barrierer, der følger med. Løsningen er at tale højt om det.
TEKST SOFIE STOKHOLM JACOBSEN FOTO SHUTTERSTOCK

Hver eneste gang tandlægen dukkede op på plejehjemmet, gik den ældre dame og beboer udenfor og satte sig ved busstoppestedet. Her gemte hun sig, indtil tandlægen var gået igen. Hun ville ikke kigges ind i munden.
Tandskam dækker over den skam, man kan føle over sine tænder. Og det er et nyt begreb, der ikke har været beskrevet før, men som dukkede op i forsknings- og udviklingsprojektet ”Sund Mund Hele Livet” om oral sundhed i den danske ældrepleje – et projekt, der netop er afsluttet.
- Mange ældre mennesker sad med hånden op for munden, når de talte om deres tænder. Nogle var stoppet med at smile og grine, og andre havde isoleret sig mange år i hjemmet på grund af deres tænder. Det var tydeligvis forbundet med dyb selvbebrejdelse, fortæller Louise Folker.
Hun er ph.d.-studerende ved Center for Humanistisk Sundhedsforskning og Det Sundhedsvidenskabelige Fakultet på Københavns Universitet, og hendes ph.d. er en del af projektet, der har indsamlet data fra ældreplejen i Frederiksberg og Greve kommuner. Hun undrede sig over, hvorfor de ældre var så tilbageholdne med at tale om deres tænder.
- De lukkede munden, når de skulle have børstet deres tænder af personalet. De sagde simpelthen nej. Det var tydeligvis meget intimt og grænseoverskridende for dem. Det er en kæmpe barriere for den orale sundhed i ældreplejen – og netop derfor læste jeg mig ned i skamlitteraturen, og vi udviklede begrebet tandskam, fortæller Louise Folker.
Lad os tale om tandskam
Esben Boeskov Øzhayat, der er lektor ved Odontologisk Institut på Københavns Universitet, er leder af projektet og har især forsket i sammenhængen mellem oral sundhed og samfund.
- Set i bakspejlet har der været meget tandskam på spil i min tidligere forskning. Meget har nok været mistolket som tandlægeangst. Først nu i samarbejde med antropologer har vi fået et sprog for det, siger Esben Boeskov Øzhayat.
Det var egentlig ikke tandskam, projektet skulle handle om, men det endte med at fylde en kæmpe del. For pludselig dukkede det op alle vegne. Forskerne oplevede, at der var mange barrierer på spil. Ikke kun for borgerne, men også for plejepersonalet.
- Når de ældre skammede sig, spredte det sig til personalet. Det blev et tabu. Og noget så simpelt som at børste tænder blev virkelig svært, siger Esben Boeskov Øzhayat.
Han forklarer, at tandbørstning er svært at få ind som en systematisk del af plejen hos ældre borgere. Det var én af de ting, man med projektet ville forsøge at ændre.
Plejepersonalet, der deltog i projektet, sammenlignede ofte tandbørstningen med bleskift, som også er grænseoverskridende for borgerne. Men forskellen er, at personalet er uddannet og dermed rustet til det første, men ikke til at børste tænder. Og hvor konsekvenserne ved manglende bleskift opstår her og ¾¾
Et kombineret forskningsog samskabelsesprojekt bestående af forskere og praktikere fra Odontologisk Institut, Center for Humanistisk Sundhedsforskning på Københavns Universitet og Frederiksberg Kommune og Greve Kommune.
Formålet var at undersøge og forbedre tandsundheden i den danske ældrepleje via etnografisk analyse, tandundersøgelser, spørgeskemaundersøgelser og registerforskning.
nu, viser konsekvenserne ved manglende tandbørstning sig først på sigt.
- Det er vigtigt at arbejde med skammen for at nedbryde tabuet. Løsningen er at begynde at tale om det – også på samfundsniveau – og forsøge at forstå, hvorfor mennesker med dårlige tænder gemmer sig, forklarer Esben Boeskov Øzhayat.
Louise Folker er enig:
- Skam lever i mørke og tavshed, og man bryder det ved at åbne op om det. Manglende tandbørstning på ældre borgere kan have kæmpe konsekvenser. Det blev tydeligt for os, at det er helt afgørende at håndtere tandskammen, hvis man vil forbedre den orale sundhed blandt ældre og udsatte mennesker.
Andre skammer sig også
For selv om projektet kun har data på ældre borgere, er forskerne overbeviste om, at tandskam er langt mere udbredt og eksisterer alle vegne i samfundet. Især blandt udsatte.
- Uligheden i oral sundhed rammer skævt, og det gør tandskam også. Skam og ulighed
er tæt forbundne. Når man isolerer sig, bliver man endnu mere udsat. Det er en ond spiral, siger Louise Folker.
Hun mener, det er oplagt at kigge på socialområdet, og hvor tæt knyttet tandskam er til ulighed.
- Skam er betinget af den kulturelle kontekst, og normalen ændrer sig. Vi har generelt fået bedre tænder i den brede befolkning, og det er jo positivt. Men så stikker det også mere ud, når nogen ikke har det, siger Louise Folker.
Internationalt blik
Det konkrete projekt er nu afsluttet, men holdet bag håber på at udbrede deres erfaringer til andre kommuner. Bl.a. ved at udvikle guidelines og værktøjer – og søge midler til at følge op.
Projektet er også nået ud over landets grænser og har vakt international opmærksomhed. Forskerne fortæller, at de bl.a. er blevet kontaktet af interesserede fra USA, England og Iran. ♦



Et smil kan ændre alt – også et liv.
Et smil kan ændre alt – også et liv.
Som medlem af Dental Health Without Borders giver du børn i verdens fattigste lande adgang til den tandpleje, de ellers aldrig ville få.
Som medlem af Dental Health Without Borders giver du børn i verdens fattigste lande adgang til den tandpleje, de ellers aldrig ville få.
Så enkelt er det.
Så enkelt er det.





Uddannet tandlæge fra Aarhus Universitet i 2017
Underviser på Institut for Odontologi og Oral Sundhed på Aarhus Universitet
Afdelingstandlæge hos Styrelsen for Patientklager
Louise Hauge Matzen spørger:
Hvad motiverede dig til at undersøge mulighederne for at arbejde som tandlæge i et andet regi end det kliniske? Hvordan holder du dig opdateret inden for alle de odontologiske fagområder?
- Jeg har altid været nysgerrig på, hvad vores uddannelse kan åbne for af muligheder. Efter nogle år på klinik kunne jeg mærke, at jeg manglede noget og kiggede derfor efter en bibeskæftigelse. Og så dukkede stillingsopslaget hos Styrelsen for Patientklager op. Her var der en mulighed for at bruge min tandfaglige viden på en helt ny måde. Kompromisset var at lægge kliniktøjet på hylden. Det var et spring ud af det, der var meningen, for det var jo ikke det, jeg havde uddannet mig til. Så det var en stor beslutning.
Men jeg tog chancen, og det viste sig at være lige præcis det, jeg manglede. I stedet for at arbejde som håndværker arbejder jeg nu med sundhedsjura og ser det hele oppefra. De store linjer i faget. Jeg har altid været vild med at være tandlæge, men her kan jeg være forankret i det tandlægefaglige og samtidig bidrage til noget meget større. Jeg får en forståelse for de myndighedskrav, vi arbejder under, og forsøger at gøre dem meningsfulde for tandlægestanden.
Formidling er det, jeg synes er allermest interessant i den rolle, og som giver noget til min faglighed. At få jurister til at forstå det tandfaglige og tandlæger til at forstå lovgivning. Og hvorfor
den er til. Jeg taler samme sprog som de sagkyndige på klinikkerne og har en grundlæggende forståelse for sundhedsjura. På den måde fungerer jeg som bindeled mellem det juridiske og kliniske. Jeg kan mærke, at det er en fordel for vores fag, at der sidder en tandlæge med i maskinrummet med en forståelse for begge verdener.
Hvad er dine opgaver helt konkret? - Mine opgaver kan spænde bredt – lige fra konkrete spørgsmål til forståelse af en faglig vurdering eller tolkning af lovgivning. På en typisk dag bidrager jeg med sundhedsfaglig sparring på alle mulige områder, der vedrører tænder. Jeg keder mig ikke.
Mange tror, at vi i styrelsen kun beskæftiger os med klager over sundhedsfaglig behandling. Men styrelsen træffer også afgørelser på mange andre områder, fx klager over afgørelser fra Patienterstatningen, klager over afgørelser om regionalt tilskud til tandpleje gennem §166 eller kommunernes visitation til omsorgs-, special- og socialtandplejen. Det er i øvrigt en udbredt misforståelse, at jeg som intern ansat tandlæge i styrelsen er den, der træffer beslutningerne. Det er ikke mig, der laver den faglige vurdering i sagerne, men derimod tandlæger ude i praksis, der er ansat som eksterne sagkyndige. Det kan indimellem være svært at navigere i faglige uoverensstemmelser. Jeg oplever fx, at der kan være forskel på, hvordan man betragter sager alt efter, om man er uddannet øst eller vest for Storebælt. Inden jeg begyndte i Styrelsen for Patientklager, troede jeg, at jura var meget firkantet. Den opfattelse er blevet modificeret. Det er nærmere fortolkninger, der skal udøves i praksis.
Og min rolle er så at bidrage med den sundhedsfaglige vinkel ind i det.
Hvordan holder du dig opdateret? - Jeg gør meget ud af at holde mig fagligt opdateret, men mit job er ikke at være ekspert på alle odontologiske fagområder. Jeg skal nærmere have overblikket og være opmærksom på udviklingen, så vi har det rette grundlag for en afgørelse. De sagkyndige er de suveræne eksperter og har den kliniske tilknytning – det har jeg stor respekt for. Jeg sikrer, at vi har de rette folk ansat. Det stiller krav til synlighed og kræver et solidt fagligt netværk. Men jeg trives godt med at bevæge mig i det sundhedsjuridiske krydsfelt.
Hvem vil du give stafetten videre til og hvorfor?
Marie-Louise Milvang Nørregaard har mange bolde i luften gennem sine ansættelser ved Institut for Odontologi og Oral Sundhed på Aarhus Universitet, den Højt Specialiserede Behandlingsenhed, børne- og ungetandplejen i Aarhus og Grønland i perioder.
Mia Portz Johannsen spørger:
Hvad motiverer dig i arbejdet med børn og unge?♦
I fagstafetten går vi tæt på en tandlæge med en helt særlig drive og passion for sit fag. Månedens tandlæge sender fagstafetten videre til en kollega, der har været en inspiration for ham eller hende.
FYLDER DU RUNDT?
Hvis du ønsker din fødselsdag offentliggjort i Tandlægebladet, skal du give samtykke til det.
Det kan du gøre ved at logge ind på Tdlnet.dk dk → vælg ”mine sider” → vælg ”personlige oplysninger” → vælg ”mine samtykker”
Hvis du har spørgsmål, kan du kontakte medlemsregistreringen på e-mail medlemsregistrering@tdl.dk
30
Pernille Svejgaard Clausen, Herning, 17.december
Agnes Brødsgaard Straarup, Vejen, 18. december
Cecilie Nørgaard-Hansen, Hobro, 21. december
Maria Kristina Andresen, København Ø, 30. december
40
Anja Sæderup Kobel, Vanløse, 29. december
Rami Al Harfoush, Søborg, 1. januar
Anne Venø Hastrup Hyldgaard, Kolding, 4. januar
50
Tahir Balal Bhatti, Albertslund, 20. december
Line Molander Kragh, Farum, 24. december
60
Marianne Lyng Kjær, Holte, 20. december
Lene Meyer, Skørping, 27. december
70
Ingrid Dam Nielsen, Faaborg, 21. december
Kit Nielsen, Rødkærsbro, 23. december
Birgitte Emborg, Lejre, 26. december
Anne Flyger Ulrich, Charlottenlund, 27. december
75
Mogens Bodilsen, Ribe, 26. december
Ole Larsen, Bremervörde, 31. december
80
Anne Julie Johansen, Odense SV, 19. december
Søren Hillerup, Virum, 1. januar
TANDLÆGEFORENINGENS KOLLEGAHJÆLP formidler gratis og anonym hjælp til medlemmer i krise.
Region Hovedstaden
Marie Winding Turpinsvej 2
2605 Brøndby
Tlf. 36 75 48 75
Region Sjælland
Thomas Hjorth Platanvej 1
4684 Holmegaard
Tlf. 55 54 64 49 – 42 70 05 00
Louise Vilhelmsdal Søndergade 10
4800 Nykøbing F.
Tlf. 54 86 00 86 – 22 93 85 11
Region Syddanmark
Michael Rasmussen Gl. Vardevej 191 6715 Esbjerg N
E-mail:
mr.mr.rasmussen@gmail.com
Tlf. 75 13 75 13
Helle Gamst Skov Torvet 3, 6100 Haderslev helle@gamst-skov.dk
Tlf. 74 52 28 02
Region Midtjylland
Tina El-Dabagh
Tordenskjoldsgade 37, 1. th 8200 Århus N
E-mail: tinaeldabagh@hotmail.com
Tlf. 86 16 85 10 – 61 71 36 89
Region Nordjylland
Majbritt Jensen Strandvejen 3 9000 Aalborg Tlf. 20 77 32 66
Tandlægeforeningen Region Grønland
Karen Haarbo-Nygaard Tuapannguit 40 3900 Nuuk
E-mail: karenhaarbo@yahoo.com
Tlf. (+299) 547373
TandlægeTryghed
Britt Betina Jørgensen Svanemøllevej 85 2900 Hellerup
Tlf. 39 46 00 80
Ved alkohol- og misbrugsproblemer
Halsnæs Alkoholambulatorium
Ambulatorieleder
Charlotte H. Seidler
Tlf. 28 59 02 08
Psykologhjælp
Erhvervspsykologisk Rådgivning v/erhvervspsykolog
Majken Blom Søefeldt Kontakt TandlægeTryghed på: Tlf. 39 46 00 80
Mail: dagpenge@tdlt.dk
Henvendelse angående kollegiale henvisninger
Tina Andersen, tlf. 33 48 77 33, e-mail: ta@tdl.dk
Pris: kr. 39,00 pr. mm + moms pr. gang.
Annoncer tegnes for 12 numre (1 år ad gangen).
Der faktureres for et halvt år ad gangen i juni måned og i december måned.
Tandlægeforeningen påtager sig ikke ansvar for om kolleger, der annoncerer under kollegiale henvisninger, besidder de fornødne kvalifikationer.
Annoncering under kollegiale henvisninger er forbeholdt medlemmer af Tandlægeforeningen.
Tandklinikken Ravn
• Behandling af overvægtige patienter op til 350 kg. Patienterne kan køres ind, men skal kunne gå de sidste 4 m til stolen
• Handicapvenlig parkering og indgang
Strøby Egede Center 15 4600 Køge
Tlf. 56 26 72 77 www.tandklinikkenravn.dk
Hausergaarden I/S
Specialuddannede tandlæger
Hauser Plads 20, 2 (elevator) 1127 København K v/Nørreport Station Tlf. 33 15 15 34 info@hausergaarden.dk www.hausergaarden.dk
• Endodonti * komplicerede
• Implantologi * Komplikationer
• Kirurgi * Knogle-opbygning
• Æstetik * Rekonstruktioner
• Protetik * Narkose
John Orloff
Dip. Imp Dent Adv RCS (Eng)
Jens Kristiansen
MSc Endo KCL (Eng)
Adam Gade Ellesøe
MSc Imp Dent (URJC)
TBT - www.tbt.dk klinik@tbt.dk
Tlf. 38 60 20 20
• Invisalign
• Kosmetisk makeover
• Implantologi
• Bidrehabilitering
Brædstrup Implantat Center
Birgitte Skadborg Tlf. 75 75 12 36
Bidfunktion og oral bidrehabilitering www.implantatcenter.dk
Tømmergårdens Tandlæger
Steen Rosby
Stationsvej 1, 6880 Tarm Tlf. 97 37 15 15 info@rokketand.dk
• Behandling af funktionelle lidelser i tyggeorganet.
Stylvig
H.C. Ørsteds Vej 50C 1879 Frederiksberg C Tlf. 33 24 85 85 forum@tandlaegen.dk
Tandlægen.dk – Greve
Anders Vilmann, ph.d. Tlf. 43 43 98 98 greve@tandlaegen.dk
Tandlæge Katharina Axtmann
Farum Hovedgade 15, 1. Tlf. 31 72 83 56 Info@axtmann.dk
Tandlæge Betina Grønbæk ApS
Betina Grønbæk Stjernegade 22 1 tv
3000 Helsingør Tlf. 49 21 99 60 info@stjernegade22.dk
Tandlægerne Fyrvej, Esbjerg CBCT-scan og panorama Tandlægerne Fyrvej Fyrvej 26 6710 Esbjerg V Tlf.: 75 15 06 00 www.fyrvej.dk
Aarhus Tandlægeskole
• CBCT og panorama-undersøgelse Henvisning og prisliste på dent.au.dk/tandlaegeskolen/forfagfolk
SpecialTandlægeCenter Gentofte v/ specialtandlæge Pernille Egdø
• Implantater, knogleopbygning, amotio, rodresektion, autotransplantation
• Panorama/OTP CBCT/3D Baunegårdsvej 7 L, 2820 Gentofte Tlf. 39 64 65 14 www.kaebekirurg.dk pernille@kaebekirurg.dk
Specialtandlægerne
v. Søren Schou, Aarhus
• Panorama og CBCT (3D), inkl. beskrivelse af Hanne Hintze og Lars Bo Petersen www.sptand.dk
Tandlægeskolen
Afd. for Radiologi
• Panorama og kranieoptagelser samt Cone-Beam scanning. (spec. implantatbehandling og kæbeled)
Henvisningsblanket hentes på http://odont.ku.dk/specialklinik/radiologi/henvisn_rtg/ og faxes eller sendes til afdelingen. Nørre Allé 20, 2200 Kbh. N. Tlf. 35 32 69 05/Fax 35 32 67 73
NORD Specialtandlæger Kongens Lyngby
Henvisningsklinik Kirurgi, implantologi, Endodonti, Protetik, Parodontologi & Oral medicin.
Klampenborgvej 221, 2. sal 2800 Kongens Lyngby
Tlf. 88 88 80 00 www.nord.dk
Tandlægen.dk Bagsværd
Bagsværd Hovedgade 99, 1. sal, 2880 Bagsværd Tlf. 44 98 34 20
Fyn
Centrum Tandlægerne
Odense og Middelfart
B. Pade
N. Pade
Tlf. 66 12 62 26 – 64 40 24 03
• Implantater, protetik, kirurgi. www.centrumtandlaegerne.dk
Oris Tandlægerne
Slotsgade 21, 5000 Odense C Tlf. 66 11 44 33 slotsgade21@oris.dk
• Panoramarøntgen
• CBCT (3D)
Jylland
Brædstrup Implantat
Center
John Jensen
Jens Hartlev
Kristoffer Schwartz
Martin Saaby
Birgitte Skadborg
Martin Persson
• Implantologi, kirurgi, narkose
• Protetiske rekonstruktioner
• 3D scanning Tinghuspladsen 6
8740 Brædstrup Tlf. 75 75 12 36 www.implantatcenter.dk
Herning Implantat Center
Louise Kold & Simon Kold
Bryggergade 10
7400 Herning Tlf. 97 12 03 99 www.herningimplantatcenter.dk
• Kirurgi og protetik.
• Mulighed for narkose
Kolding Implantat Center
Jens Thorn, specialtandlæge
Henrik Hedegaard
ORIS Tandlægerne Kolding Banegårdspladsen 9 6000 Kolding Tlf. 81 18 81 18 www.ORIS.dk/kolding
• Kirurgi og protetik
Tandlægerne Fyrvej
Specialtandlæge
Kristian Thesbjerg
Fyrvej 26
6710 Esbjerg V Tlf. 75 15 06 00 rtg@fyrvej.dk www.fyrvej.dk
Bredt Smil Haderslev
Puk Bergmann
Nørregade 11
6100 Haderslev
Tlf. 74 52 22 49 6100@bredtsmil.dk
dinTANDLÆGE Brande
Torben Lillie
• Immediat implantologi
• Kirurgi og protetik
Torvegade 8
7330 Brande
Tlf. 97 18 00 79 www.dintandlaege-brande.dk brandetand@brandetand.dk
Risskov Implantatklinik
– Tandlægerne Risskov v/Ulrik Holm-Christoffersen MSc. Impl.
Immediat implantologi. Blødvævskirurgi
• Implantater, knogleopbygning, Amotio, Retrograd.
• Straumann, Nobel, Ankylos, Astra.
Rolighedsvej 30, Risskov.
Tlf. 70 70 55 25 info@tandlaegernerisskov.dk
Aarhus C
Thomas Guldborg
Klostergade 56, 8000 Aarhus C Henvisning via EDI Straumann & Astra Kirurgi & Protetik
Dento-alveolær kir.
EAO Master Diploma Impl.
Sjælland
Tandlægen.dk Roskilde
Maziar Talaeipour
Algade 52, 1., 4000 Roskilde Tlf. 46 35 33 13
• www.tandlaegen.dk/Roskilde
Klinikken Vestergade
- specialtandlæger i kæbekirurgi Jesper Jared Secher, specialtandlæge, Ph.d. Jesper Bak, specialtandlæge Andreas Riis, specialisttandläkare i endodonti
Obels Gaard, Vestergade 2 1456 København K Tlf. 33 15 48 99 www.klinikkenvestergade.dk
SpecialTandlægeCenter
Gentofte v/ specialtandlæge
Pernille Egdø
• Implantater, knogleopbygning, amotio, rodresektion, autotransplantation
• Panorama/OTP CBCT/3D Baunegårdsvej 7 L, 2820 Gentofte Tlf. 39 64 65 14 www.kaebekirurg.dk pernille@kaebekirurg.dk
Specialtandlægerne Bredgade Specialtandlæge Lars Pallesen www.bredgade.dk eller info@bredgade.dk Knogle- og blødtvæv. Enkelttand, bro, fuldkæbe. Narkose
Specialtandlægerne i kæbekirurgi i Lyngby
Thomas Kofod ph.d. Ole Schwartz ph.d.
Niels Ulrich Hermund ph.d Rasmus Kuniss-Kriegbaum
Even Nisja
• Alt indenfor tand,- mund,- og kæbekirurgi
• De fleste typer implantater og rekonstruktioner. tandlægen.dk
Lyngby & Implantatcenter
Lyngby Hovedgade 27, 3. sal 2800 Kgs. Lyngby
Send henvisning over ediportalen 45870190 eller henvisningsblanket på hjemmesiden:
https://tandlaegen.dk/lyngby/ lyngby-hovedgade/henvisning/
NORD Specialtandlæger
Kongens Lyngby
Henvisningsklinik
Kirurgi, implantologi, Endodonti, Protetik, Parodontologi & Oral medicin.
Klampenborgvej 221, 2. sal 2800 Kongens Lyngby
Tlf: 88 88 80 00 www.nord.dk
Kirurgi
Fyn
Klinik for Kæbekirurgi, Odense
Implantat, kæbekirurgi, narkose
Torben Thygesen
Gregory Tour 50 65 62 66 www.klinik-vs15.dk
Tandlægen.dk, Centrum Odense
Peter Marker
Specialtandlæge
Grønnegade 16, 5000 Odense C Tlf 66 12 62 26
Mail: centrum-odense@tandlaegen.dk www.tandlaegen.dk/klinikker/ odense-centrum/forside Kirurgi, implantater, narkose
Tre Margueritter Tandlægeklinik
Specialtandlæge
Sodaba Ghawsi-Vestergaard Tlf. 66 11 14 44 www.tremargueritter.dk
Ryhl Kirurgi - Kæbekirurgisk klinik
Henvisningsklinik for:
• alle former for kirurgi
• endodonti
• CBCT/OTP
Bondovej 3, 5250 Odense SV Tlf. 69 89 60 80 www.ryhlkirurgi.dk info@ryhlkirurgi.dk
Brædstrup Implantat
Center
John Jensen
Jens Hartlev
Kristoffer Schwartz
Martin Saaby
Martin Persson
Tinghuspladsen 6 8740 Brædstrup Tlf. 75 75 12 36 www.implantatcenter.dk
Oris Tandlægerne
Kolding
Specialtandlæge, ph.d. Jens Thorn
Banegårdspladsen 9 6000 Kolding Tlf. 81 18 81 18 Mail. Kolding@oris.dk
Kirurgiklinik
Hermodsvej 22, Åbyhøj Tlf.: 70 22 35 53 www.kirurgiklinik.dk
Tandlægerne Fyrvej
Specialtandlæge
Kristian Thesbjerg Fyrvej 26, 6710 Esbjerg V Tlf. 75 15 06 00 rtg@fyrvej.dk www.fyrvej.dk
Tandlægerne Silkeborgvej 297
Specialtandlæge
Lambros Kostopoulos
• Implantatbehandling samt knogleopbygning med membran.
• Rekonstruktiv knogle- og blødtvævskirurgi. Behandling af periimplantitis
Silkeborgvej 297, 8230 Åbyhøj Tlf. 86 15 43 44
Tandlægerne Kold
Louise Kold
Simon Kold Bryggergade 10 7400 Herning Tlf. 97 12 03 99
www.tandherning.dk
E-mail: post@tandherning.dk
• Mulighed for narkose
Specialtandlægerne v. Søren Schou, Aarhus
• Oral kirurgi og implantater, inkl. narkose
Søren Schou, dr.odont. Helle B. Nielsen, ph.d.
Karen J. Nissen
Ole Möbes
Otto Schmidt www.sptand.dk
SpecialTandlægeCenter
Gentofte v/ specialtandlæge
Pernille Egdø
• Implantater, knogleopbygning, amotio, rodresektion, autotransplantation
• Panorama/OTP CBCT/3D Baunegårdsvej 7 L, 2820 Gentofte Tlf. 39 64 65 14 www.kaebekirurg.dk pernille@kaebekirurg.dk
Specialtandlægerne Sjælland, Solrød ApS v/ Tore Lefolii og Morten Dahl Solrød Center 45, 1. 2680 Solrød Strand Tlf. 56 16 75 00 www.spsj.dk
• TMK-kirurgi og implantatbeh.
• Kirurgi på børn og unge med fokus på ortodonti
Klinikken Vestergade
- specialtandlæger i kæbekirurgi Jesper Jared Secher, specialtandlæge, Ph.d. Jesper Bak, specialtandlæge Andreas Riis, specialisttandläkare i endodonti
Obels Gaard, Vestergade 2 1456 København K Tlf. 33 15 48 99
www.klinikkenvestergade.dk
Specialtandlægerne Bredgade
www.bredgade.dk eller info@bredgade.dk
Klinik for Kirurgi og Endodonti
Vibe Rud
Thomas Foldberg
Puggaardsgade 17, st. 1573 København V Tlf. 33 14 83 86
Online henvisning via www.endokir.dk
Specialtandlægerne Sjælland København, Roskilde, Kalundborg
• Dentoalveolær kirurgi
• Oral rehabilitering
Specialtandlæger i Tand-, Mund- og Kæbekirurgi:
• Tore Tranberg Lefolii
• Simon Storgård Jensen, dr.odont
• Jesper Øland Petersen, ph.d
• Libana Raffoul Bjørnstrup
• Karoline Brørup Marcussen
• Even Nisja
Protetikere:
• Klaus Gotfredsen, dr. og lic.odont
• Brian Møller Andersen www.spsj.dk
E-mail: klinik@spsj.dk
Tlf. 70 22 52 30
Specialtandlægerne i kæbekirurgi i Lyngby
Thomas Kofod ph.d.
Ole Schwartz ph.d.
Niels Ulrich Hermund ph.d Rasmus Kuniss-Kriegbaum Even Nisja
• Alt indenfor tand,- mund,- og kæbekirurgi
• De fleste typer implantater og rekonstruktioner. tandlægen.dk
Lyngby & Implantatcenter Lyngby Hovedgade 27, 3. sal 2800 Kgs. Lyngby
Send henvisning over ediportalen 45870190 eller henvisningsblanket på hjemmesiden: https://tandlaegen.dk/klinikker/ lyngby-implantatcenter/ specialtandlaeger
NORD Specialtandlæger Kongens Lyngby Henvisningsklinik Kirurgi, implantologi, Endodonti, Protetik, Parodontologi & Oral medicin.
Klampenborgvej 221, 2. sal 2800 Kongens Lyngby
Tlf: 88 88 80 00 www.nord.dk
Specialtandlæge i tand-, mund og kæbekirurgi
Rannvá Matras, PLUS1 Tandlægeklinik Kbh v. Tivoli og Rødovre Centrum Tlf. 36 70 76 00 www.plus1.dk/henvisning
Fyn
Centrum Tandlægerne
Danmarks Implantatcenter
Odense klinikken
Tlf. 66 12 62 26 info@centrumtandlaegerne.dk
Middelfart klinikken
Tlf. 64 40 24 03 middelfart@ centrumtandlaegerne.dk www.centrumtandlaegerne.dk
Jylland
Brædstrup Implantat Center
Tlf. 75 75 12 36 www.implantatcenter.dk
Tandlægerne Kold
Louise Kold
Simon Kold Bryggergade 10 7400 Herning
Tlf. 97 12 03 99
E-mail: post@tandherning.dk
• Patienter modtages til behandling i narkose. Alm. tandbehandling, kirurgi og implantatbehandling.
Centrum Tandlægerne
Danmarks Implantatcenter
Aarhus klinikken
Tlf.: 86 13 26 36 aarhus@centrumtandlaegerne.dk www.centrumtandlaegerne.dk
Tandlægerne Fyrvej Fyrvej 26
6710 Esbjerg V Tlf. 75 15 06 00 rtg@fyrvej.dk www.fyrvej .dk
Patienter modtages til behandling i narkose. Alm tandbehandling, kirurgi og implantatbehandling
Specialtandlægerne Sjælland, Solrød ApS v/ Tore Lefolii og Morten Dahl Solrød Center 45, 1. 2680 Solrød Strand Tlf. 56 16 75 00 www.spsj.dk
• TMK-kirurgi og implantatbeh.
• Kirurgi på børn og unge med fokus på ortodonti
Tandlægecentret Svanen v/tandlæge Per Bjørndal Lyngby Hovedgade 27, 4. 2800 Lyngby
Tlf. 45 88 96 88/Fax 45 88 91 69 www.svanetand.dk
Tandlægerne i Carlsro Tårnvej 219 2610 Rødovre
Tlf. 36 70 31 67 www.carlsrotand.dk
Tandlægen.dk Hundige Strandvej Hundige Strandvej 182
2670 Greve
Tlf. 43 90 15 15 hundigestrandvej182@tandlaegen.dk
Alle former for behandling tilbydes.
NORD Specialtandlæger
Kongens Lyngby
Henvisningsklinik med anæstesi team til GA og IV-sedation.
Kirurgi, implantologi, Endodonti, Protetik, Parodontologi & Oral medicin.
Klampenborgvej 221, 2. sal 2800 Kongens Lyngby
Tlf: 88 88 80 00 www.nord.dk
Maj-Britt Liliendahl
Højbro Plads 5, 2. sal 1200 København K
Tlf. 33 12 14 38
NORD Specialtandlæger
Camilla Kragelund, Tandlæge ph.d. Udredning, diagnostik og tværfagligt samarbejde. Henvisning af patienter med oral medicinske problemer fx symptomer som smerter, svien, brænden og tørhed eller kliniske forandringer som farveændringer, sår, blærer eller vævsforøgelser.
Klampenborgvej 221, 2. sal
2800 Kongens Lyngby
Tlf. 88 88 80 00
www.nord.dk
Jylland
Tandregulering
Ane Falstie Juul
Nørgårds Allé 11, 1. 7400 Herning
Tlf. 97 12 59 00
• Specialtandlæge i ortodonti
Brædstrup Implantat Center
Carsten Lemor
Peter Stoustrup
Tlf. 75 75 12 36 www.implantatcenter.dk
Specialtandlægerne
Aarhus Tandregulering
Morten G. Laursen
Janne Grønhøj
Susanna Botticelli
Frederiks Allé 93
8000 Aarhus C Tlf 86 12 17 66
mail@specialtandlaeger.dk www.specialtandlaeger.dk
Tandreguleringshuset
Kim Carlsson
Jens Kragskov
• Specialtandlæger i ortodonti
Jyllandsgade 79 C, 1. sal
6700 Esbjerg Tlf. 76 13 14 80
Tandreguleringsklinikken
Lisbeth Nielsen, Specialtandlæge, ph.d.
Christian Iversen, Specialtandlæge
Tandreguleringsklinikken
Toldboden 1, 5C
8800 Viborg
Tlf. 86 62 76 88
• Specialtandlæge i ortodonti post@tandreguleringsklinikken.dk www.tandreguleringsklinikken.dk
Sjælland
Specialklinik for Tandregulering
• Specialtandlæge i Ortodonti
Aida Basic
Hauser plads 20, 2. sal 1127 København K Tlf. 33 93 07 23 www.tandregulering.info
Specialtandlæge i Holte
• Specialtandlæge i ortodonti
Lone Møller
Holte Stationsvej 6, 1. sal, 2840 Holte
Tlf. 45 42 16 88 www.holtetandreguleringsklinik.dk
Specialtandlægerne
• Specialtandlæger i ortodonti
Michael Holmqvist
Rosenborggade 3, 1. 1130 København K Tlf. 33 12 32 12 orto@specialtandlaegerne.dk
Specialtandlægerne i Roskilde
• Specialtandlæger i ortodonti
Søren Wiborg Lauesen
Jens Fog Lomholt
Ringstedvej 18, 2. th. 4000 Roskilde Tlf. 46 36 50 33 www.specialtandlaegerne.com
Tandlægen.dk Hundige Strandvej
Specialtandlæge Glen Happel
Hundige Strandvej 182 2670 Greve Tlf. 43 90 15 15 hundigestrandvej182@tandlaegen.dk
Fyn
Oris Tandlægerne
Det Gule Pakhus
Mette Rylev, ph.d. Havnepladsen 3b 5700 Svendborg Tlf. 62 21 20 09 E-mail: detgulepakhus@oris.dk www.oris.dk/svendborg
Jylland
Brædstrup Implantat Center
Camilla Kristensen Tlf. 75 75 12 36 www.implantatcenter.dk
Tandlægerne Store Torv
Lone Sander, ph.d.
Mette Rylev, ph.d.
Mette Kjeldsen, ph.d.
Björn Emil Neumann
Iris Möbes Tlf. 86 12 73 50 http://tdl-storetorv.dk
Tandlægerne Aarhus Ø Anders Heide
Rodrigo López, ph.d., dr.odont. Esther Aggebos Gade 2 8000 Aarhus C Tlf. 73 70 85 00 t@ndlæge.dk
Københavns Paradentoseog Implantat Klinik
Marianne Hoffmeyer, M.S., Diplomate Board Certified Periodontist (USA)
Strøget, Kbh K. Tlf. 33 13 66 60 www.strogettand.dk
Tandlægen.dk Roskilde Maziar Talaeipour
-Parodontal kirurgi bla. regenerativ behandling
-Mikro kirurgi (paradontal plastikkirurgi)
-Behandling af periimplantitis
Algade 52, 1., 4000 Roskilde Tlf. 46 35 33 13 www.tandlaegen.dk/Roskilde
Colosseum Tandlægerne Rosenborggade København Rosenborggade 3, 2. 1130 København Tlf. 33 11 39 66
E-mail:
noerreport@colosseumklinikken.dk www.colosseumklinikken.dk
Tandklinikken Ravn Nørregade 9 og Strøby Egede Center 15 4600 Køge Tlf. 56 65 25 09 – 56 26 72 77 www.tandklinikkenravn.dk
Specialtandlægerne Bredgade Christian Damgaard, ph.d. www.bredgade.dk eller info@bredgade.dk
Parodontitis, peri-implantitis, regenerativ parodontalkirurgi, CBCT, narkose
Nord Specialtandlæger
Daniel Midjord-Belstrøm, dr. odont, ph.d.
Diagnostik og parodontalkirurgi Henvisningsklinik med anæstesi team til GA og IV-sadation. Kirurgi, implantologi, Endodonti, Protetik, Parodontologi & Oral medicin.
Klampenborgvej 221, 2. sal
2800 Kongens Lyngby
Tlf: 88 88 80 00 www.nord.dk
Tandlæge Maria Mejsig Justesen
Parodontalkirurgi og regenerativ behandling
Borupvang 3C, Ballerup Tlf. 36 70 76 00 mj@plus1.dk
ORIS Tandlægerne
Steen Bjergegaard Slotsgade 21, 5000 Odense C Tlf. 66 11 44 33 slotsgade21@oris.dk
• Fast protetik, inkl. implantatforankret protetik
Brædstrup Implantat Center
Christian Dalby Tlf. 75 75 12 36 www.implantatcenter.dk
Tandlægen.dk Bagsværd
• Endodonti
Omid Shirazi
Bagsværd Hovedgade 99, 1. sal, 2880 Bagsværd Tlf. 44 98 34 20 Mail: bagsvaerd@tandlaegen.dk www.tandlaegen.dk/bagsværd
Colosseum Tandlægerne Kongensgade Odense Kongensgade 54
5000 Odense Tlf. 66 11 67 01 odense@colosseumklinikken.dk Ref. Kirsten Rysgaard
Vesterbro TandlægeCenter Niels Bruun Kasper Bruun Vesterbrogade 10, 2.tv 1620 København V Tlf.: 33 24 79 33 info@vesterbrotandcenter.dk
Tandlægen.dk Allerød • Udelukkende endodonti
Younes Alipanah Torvestrædet 27 3450 Allerød Tlf. 48 17 24 25 j.buchgreitz@gmail.com
Tandlægen.dk Bagsværd
• Retrograd endodonti Jens Tang
Bagsværd Hovedgade 99, 1. sal. 2880 Bagsværd Tlf. 44 98 34 20 Mail: bagsvaerd@tandlaegen.dk www.tandlaegen.dk/bagsværd
RodbehandlingsCenter.dk v/ Thomas Harnung
Vester Farimagsgade 1, 3. sal. 1606 København V www.endo-henvisning.dk Tlf. 44 44 44 11
Tandlægerne Fyrvej Søren Grønlund Fyrvej 26 6710 Esbjerg V Tlf: 75 15 06 00 rtg@fyrvej.dk www.fyrvej.dk
Tandlægerne Hedegaard & Kjærgaard Thomas Hedegaard Storegade 3, 8382 Hinnerup Tlf. 86 98 56 26 E-mail: henvisning@storegade3.dk www.storegade3.dk
• Ortograd og kirurgisk endodonti Colosseum Tandlægerne Slotsgade Odense
Anders Burgaard Slotsgade 18 5000 Odense C Tlf.: 66 11 96 46 Henvisninger: EDI: Tandlæge Anders Burgaard ApS Sikkermail: ab@slotsgade18.dk
Risskov Tandklinik Mads Juul
Dybbølvej 25, 8240 Risskov Tlf. 86 17 83 22 Henvisning modtages via EDI www.risskovtand.dk
Specialtandlægerne Bredgade www.bredgade.dk eller info@bredgade.dk Mikroskopvejledt endo, stiftopbygning ifm. endodonti, CBCT, narkose
Tandlægen.dk – Greve
• Endodonti
Anders Vilmann, ph.d. Tlf. 43 43 98 98 greve@tandlaegen.dk
Tandlægerne Rådhusstrædet
Mads Bojer
Rådhusstrædet 12A, 7430 Ikast E-mail: mads@tandikast.dk
Tandlægerne i Støden, Kasper Holm Busk
Støden 6, st., 4000 Roskilde Tlf. 46 36 64 00 info@tandlaegerneistoden.dk
NORD Specialtandlæger
Kongens Lyngby
Younes Alipanah, Msc i endodonti
Sune Demant, ph.d. og Msc i endodonti
Henvisningsklinik med anæstesi team til GA og IV-sedation. Kirurgi, implantologi, Endodonti, Protetik, Parodontologi & Oral medicin.
Klampenborgvej 221, 2. sal 2800 Kongens Lyngby
Tlf: 88 88 80 00 www.nord.dk
tandlægen.dk Roskilde
Nasim Shirkhanloo
Algade 52, 1. 4000 Roskilde 46 35 33 13 www.tandlaegen.dk/Roskilde
Æstetisk tandpleje
Hausergaarden
John Orloff
• Æstetik * eget dental lab. Se under behandlingscentre www.hausergaarden.dk
Klinik på Frederiksberg søger smilende, engageret og servicemindet klinikassistent og klinikassistentelev
QUICK NR. 16947
Klinik i ST Merløse søger klinikassistent 37 timer
QUICK NR. 17813
Godt Smil Odense M søger tandplejer
QUICK NR. 18232
Institut for Odontologi og Oral Sundhed på Aarhus Universitets sundhedsvidenskabelige fakultet, Health, søger fem videreuddannelsesstuderende i Ortodonti pr. 1. september 2026
QUICK NR. 18237
Stor klinik i Århus C søger klinikassistent
QUICK NR. 18244
Odontologisk Institut (Tandlægeskolen), Det Sundhedsvidenskabelige Fakultet ved Københavns Universitet forventer at 5 specialtandlægeuddannelsesstillinger i ortodonti bliver ledige til besættelse pr. 1. september 2026
QUICK NR. 18291
Klinik i Esbjerg søger tandlæge til barselsvikariat
QUICK NR. 18294
Klinik i Herning søger erfaren tandplejer
QUICK NR. 18303
Tandlægerne i Hørsholm søger receptionist
QUICK NR. 18304
Klinik tæt på Rådhuspladsen søger klinikassistentelev
QUICK NR. 18306
Klinik i Svendborg søger klinikassistent
QUICK NR. 18310
Klinik i Holbæk søger tandplejer til 1½-års vikariat med mulighed for forlængelse
QUICK NR. 18311
Tandlægerne Kildegårds Plads og Tandlægerne Lyngbyvejen søger klinikassistent/klinikkoordinator
QUICK NR. 18312
Klinik i Skanderborg søger klinikassistent
QUICK NR. 18320
Implantatklinik København og SMILEDESIGNS søger en topmotiveret og ansvarsbevidst klinikassistent
QUICK NR. 18321
Frederiksberg Tandlægerne søger klinikassistent
QUICK NR. 18322
Klinik i Hammel søger erfaren tandlæge snarest
QUICK NR. 18323
Klinik i Klarup søger tandlæge
QUICK NR. 18328
Falkoner Tandlægerne søger smilende, engageret og servicemindet klinikassistentelev og klinikassistent
QUICK NR. 18332
Attraktive og Veldrevne klinikker i Ølstykke og Slangerup søger tandlæge og klinikchef
QUICK NR. 18333
Dentist.dk i Holstebro søger tandlæge
QUICK NR. 18334
Skønne Bornholm søger tandlæge
QUICK NR. 18336
Ny Godt Smil klinik i Varde søger receptionist
QUICK NR. 18337
Ny Godt Smil klinik i Varde søger klinikassistent
QUICK NR. 18338
ny Godt Smil klinik i Varde søger tandplejer
QUICK NR. 18339
Klinik i Skanderborg søger klinikassistent 32-37 timer om ugen
QUICK NR. 18340
Klinik i Århus C søger tandlæge
QUICK NR. 18341
Klinik i Roskilde Centrum søger klinikassistent
QUICK NR. 18342
Skødstrup Tandklinik søger tandplejer
QUICK NR. 18343
Tandlægerne Aarhus Ø søger kvalitetsbevidst klinikassistent
QUICK NR. 18346
Klinik i Nordsjælland søger sød og dygtig tandplejer til fast deltidsstilling
QUICK NR. 18347
Ny og flot klinik på Bornholm 2025 søger tandplejer
QUICK NR. 18348
Klinik i Fensmark søger klinikassistentelev
QUICK NR. 18349
Tandlægeklinik i Randers søger tandplejer
QUICK NR. 18350
Klinik i Esbjerg søger tandplejer
QUICK NR. 18352
Specialtandlægerne Sjælland i Roskilde søger en administrativ klinikassistent til vores sekretariat
QUICK NR. 18353
Lystrup Tandklinik mangler en ny tandplejer kollega
QUICK NR. 18354
Holbæk Kommune søger overtandlæge
QUICK NR. 18355
Colosseum Tandlægerne Viborg søger tandplejer
QUICK NR. 18356
Colosseum Tandlægerne Viborg søger klinikassistent
QUICK NR. 18357
Colosseum Tandlægerne Esbjerg søger tandplejer
QUICK NR. 18358
Klinikker på Frederiksberg og Nørreport søger erfarne, smilende og engagerede tandplejere
QUICK NR. 18359
Godt Smil Holbæk søger tandplejer
QUICK NR. 18360
Godt Smil Kolding søger tandplejer
QUICK NR. 18361
Tandlægeklinik i Aalborg søger receptionist til barselvikariat med mulighed for forlængelse
QUICK NR. 18362
Herlev Tandpunkt søger tandplejer til barselsvikariat
QUICK NR. 18365
v/ Ken Kürstein
Strandvej 22 4220 Korsør M: 20 20 92 12 kk@DentalConsult.dk www.DentalConsult.dk
Vores særlige kompetencer er:
• Handel med Tandklinikker (klinikmægler)
– Ejerskifte og Generationskifte af Tandlægeklinikker
– Køb og Salg af tandklinikker
– Sælgerrådgivning Salgsopstillinger (prospekt)

– Sælgerkartotek (potentielle sælgere)
• Finansiering af klinikker og udstyr www.Kapital-Coach.dk
• Forretningsudvikling af tandklinikker, ring og hør mere
Klinikbørsen ApS
Kvæsthusgade 6 E, 3. sal 1251 København K.
Tlf.: +45 70 20 69 79
Mobil: +45 20 24 49 79
E-mail: bc@klinikborsen.dk www.klinikborsen.dk
klinikformidleren.dk
– Køberregister (potentielle købere)
• Rekruttering af tandlæger, tandplejere og klinikassistenter
klinikformidleren.dk
Vil du sælge, og vil du have en seriøs behandling af dit kliniksalg med respekt for klinikken og dine medarbejdere, så tag gerne fat i os.
Vil du sælge, og vil du have en seriøs behandling af dit kliniksalg med respekt for klinikken og dine medarbejdere, så tag gerne fat i os.
Klinikformidleren.dk
Klinikformidleren.dk
Info@klinikformidleren.dk Tlf. 20124796
Info@klinikformidleren.dk Tlf. 20124796 klinikformidleren.dk
Seriøst kliniksalg i hele Danmark. Se vores hjemmeside for aktuelle klinikker, eller kontakt os på tlf. 20 12 47 96 for at høre nærmere.
Vil du sælge, og vil du have en seriøs behandling af dit kliniksalg med respekt for klinikken og dine medarbejdere, så tag gerne fat i os.
Vil du sælge, og vil du have en seriøs behandling af dit kliniksalg med respekt for klinikken og dine medarbejdere, så tag gerne fat i os.
Klinikformidleren.dk
Klinikformidleren.dk
Info@klinikformidleren.dk Tlf. 20124796
Info@klinikformidleren.dk Tlf. 20124796 klinikformidleren.dk
Henvendelse angående leverandørhenvisninger
Heidi Dyhr hos DG Media, tlf. 28 34 29 21, e-mail: heidi.d@dgmedia.dk


JURIDISK RÅDGIVNING TIL TANDLÆGER
Med mere end 20 års erfaring inden for sundhedssektoren kan jeg hjælpe dig sikkert i mål med dine juridiske spørgsmål og bistår i forhandlinger om overdragelse, samarbejdsvilkår, opløsning af samarbejde, ansættelsesforhold, lejemål, deltagelse i rets- og voldgiftssager etc.

Niels Gade Advokat (H)
ng@adv-nyhavn.dk ⁄ +45 33 11 93 13 / Nyhavn 6, 1051 København K www.tandlaege-advokat.dk

Mette Neve
PARTNER, ADVOKAT
M: +45 5074 4173 neve@clemenslaw.dk
arbejdsplads
Købe eller sælge?
Få rådgivning omkring køb og salg af tandlægeklinik. Dit valg af rådgiver gør en forskel!

abonnements system
Test sterilisationsprocessen i din autoklave med biologiske indikatorer
• Automatisk fremsendelse
• Autoudfyldte oplysninger
www.safeint.com · info@safeint.com · Tlf: +45 70 231 313

Som tandlæge hos Godt Smil kan du forvente:
Fuldt fokus på patienten – vi klarer resten.

En fyldt aftalebog (vores bookingprocent er pt. på 90%).
En arbejdsplads, hvor der bliver lyttet til dig og dine ønsker.
Klinikindretning Hjemmeside Visuel Identitet
Kontakt Casper: +45 3013 2156 waitingroomstudio.com

Vi er specialister i førstehjælpsundervisning til tandklinikker og du kan være med til at gøre en forskel. HLR-HJÆLP sørger for, at det både er sjovt og underholdende at lære førstehjælp.
Kontakt Casper Behrendt på tlf. 8171 3121 www.hlrhjælp.dk

Derfor har vi specialiseret os i rådgivning af tandlæger
Kontakt: Paw Hjelmberg Laursen paw.hjelmberg.laursen@pwc.com
NYT REVISIONSFIRMA men mange års erfaring indenfor tandlægebranchen.
Vi kan tilbyde specialiseret rådgivning indenfor bl.a.:
• Driftsoptimering af klinik
• Køb/salg klinik
• Formueoptimering
■ Jeanne Svendsen, Mobil: 30 93 49 06

■ Anders Frihed Hedegaard Christensen, Mobil: 30934763
■ www.powered-by.dk
• Erfarne klinikassistenter og tandplejere
• TryB4Hire
• Rekruttering
• Dækker hele Danmark Kontakt os på 4076 1993 / kontakt@denlilletandfe.dk
Læs mere på: denlilletandfe.dk

Vikarbureauet for klinikassistenter
• Landsdækkende Vikarservice
• Nu også for Tandplejere

• Lidt billigere
• Ring fra kl. 6.00 på tlf. 40 40 12 18 www.vikartoteket.dk

MELLEM LABORATORIEARBEJDE, forsøgspersoner og faglig sparring bruger Abas Jafari sit forskningsår på at komme tættere på svar om burning mouth syndrome. FORTALT
06.15 / Jeg står op, spiser morgenmad og smører madpakke, før jeg tager regntøjet på og cykler fra Risskov mod Institut for Odontologi og Oral Sundhed på Aarhus Universitet, hvor jeg er i gang med et etårigt forskningsprojekt om burning mouth syndrome (BMS). Det er en sygdom, som stadig er vanskelig at diagnosticere, fordi årsagen ikke er kendt, og behandlingen derfor primært lindrer symptomer. Jeg undersøger, om patienter med BMS objektivt har ændringer i smagssansen for at vurdere, om sådanne ændringer kan bruges som et diagnostisk værktøj. Det gør jeg bl.a. ved at sammenholde undersøgelser af patienter med BMS med raske kontrolpersoner.
07.45 / Jeg ankommer til universitetet. Jeg kan lide at være her tidligt og starte morgenen i ro med at tjekke mails og planlægge dagen. Min plads er på femte sal sammen med undervisere og forskere, hvilket giver et inspirerende indblik i forskningsmiljøet. Efter at have tjekket mails går jeg i gang med at arbejde på et systematisk review af eksisterende BMS-forskning og drikker en kop te fra termokanden. Min familie kom til Dan-
mark fra Afghanistan, da jeg var otte år. Te er en stor del af kulturen der, så det får mig altid til at føle mig tættere på min familie, der bor i Sønderborg.
10.00 / Mit projekt er en del af et større forskningssamarbejde, som vi er tre, der arbejder på. I dag skal jeg se en instruktionsvideo om, hvordan man fikserer en biopsi. Det ser enkelt ud på en læg, men vi skal arbejde med tungen, som er mere udfordrende, fordi den bevæger sig og har en anderledes overflade. Efterfølgende spiser jeg en hurtig frokost, skifter til kliniktøj og gør laboratoriet klar til dagens første forsøgsdeltager.
12.00 / Dagens forsøgsperson, en kvinde med BMS, møder ind. Jeg tester hendes smagssans ved at påføre små dråber af smagsstoffer på tungen – sødt, surt, salt og bittert. Hun bliver lidt nervøs, fordi hun ikke kan smage noget i starten, men efterhånden som koncentrationen af smagsstoffer øges, registrerer hun smagene og slapper af. Vi tester også hendes registrering af temperatur og mekanisk tryk, og til sidst tager jeg et billede af tungeryggen, så vi kan optælle udvalgte papiller. Jeg kan godt sætte
mig ind i, at det er hårdt at leve med BMS, og at det er noget, som i høj grad påvirker hverdagen.
13.30 / Jeg går videre til det kirurgiske afsnit, hvor en rask kontrolperson skal have taget en tungebiopsi. Personalet udfører selve indgrebet, mens jeg markerer biopsistedet med en tusch. Undervejs drøfter vi, hvordan vi bedst standardiserer proceduren til brug i forskningen. Som forskningsstuderende har jeg rig mulighed for undervejs i projektet at diskutere, reflektere og hele tiden lære nyt. Den mulighed sætter jeg stor pris på.
14.30 / Tilbage ved mit skrivebord arbejder jeg videre på en præsentation, som jeg skal holde til ph.d.-dagen på Aarhus Universitet i januar. Den må kun vare to og et halvt minut, så jeg arbejder på at skære forskningsprojektet helt ind til benet. En times tid senere cykler jeg hjem og spiser en hurtig bid mad, før jeg tager i fitnesscentret og nyder at koble hjernen fra og bruge kroppen. Hjemme igen laver jeg aftensmad og slapper af. Klokken 21.30 slukker jeg lyset efter en lang, men spændende dag.♦
ABAS JAFARI
Tandlægestuderende og forskningsstuderende, Aarhus Universitet

Tandlægeforeningen er medejer af Lån & Spar, og det giver dig klare fordele – naturligvis.
Tandlægeforeningen er medejer af Lån & Spar, og det giver dig klare fordele – naturligvis.
Tandlægeforeningen er medejer af Lån & Spar, og det giver dig klare fordele – naturligvis.
Er du selvstændig, får du en specialiseret rådgiver med mange års erfaring i at hjælpe klinikejere. En rådgiver, der kender alt til din branche og dit fag. Det er uanset, om vi skal tale finansiering af klinik, pension eller forsikring. For det, der er vigtigt for dig, er vigtigt for os.
Er du selvstændig, får du en specialiseret rådgiver med mange års erfaring i at hjælpe klinikejere. En rådgiver, der kender alt til din branche og dit fag. Det er uanset, om vi skal tale finansiering af klinik, pension eller forsikring. For det, der er vigtigt for dig, er vigtigt for os.
Er du selvstændig, får du en specialiseret rådgiver med mange års erfaring i at hjælpe klinikejere. En rådgiver, der kender alt til din branche og dit fag. Det er uanset, om vi skal tale finansiering af klinik, pension eller forsikring. For det, der er vigtigt for dig, er vigtigt for os.
Ring 3378 2388 eller gå på lsb.dk/erhverv
Ring 3378 2388 eller gå på lsb.dk/erhverv
Ring 3378 2388 eller gå på lsb.dk/erhverv
Forbrugsmaterialer skal bare være der, uden jeg skal tænke over det. Plandent har motoren til at levere og rådgive, så vi undgår tabt stoletid og sikrer en god oplevelse for patienterne.
Michael Kristensen, klinikejer og tandlæge, Aarhus Tandcenter

Vil du også tænke på andet end forbrugsmaterialer?
Ring til os 43 66 44 44 og hør, hvordan vi kan sikre dig tryg forsyning – og færre bekymringer i hverdagen.
Scan QR-koden og hør interviewet