Tandlægebladet 11 - 2025

Page 1


Få ro i maven før tilsynet

Når alle dokumentationskrav, kvalitetsstandarder og registreringer er samlet i ClinicDrive, bliver tilsynet pludselig overskueligt.

Med ClinicDrive får du et digitalt og brugervenligt værktøj, der gør det nemt at holde styr på alt det administrative - fra kvalitetssikring og opgavestyring til tidsregistrering og kemisk APV.

Med ClinicDrive kan du holde fokus på det vigtigste: patienterne.

Med ClinicDrive får du

+ Tryghed ved tilsyn og audits

+ Sikkerhed for korrekt dokumentation

+ Sikkerhed for, at opgaver udføres korrekt og til tiden

+ En lettere hverdag - fra reception til behandlerrum

Læs mere på nordenta.dk/clinicdrive eller scan QR-koden

Lisa Mini

Lisa Mini giver klinikken fleksibilitet og hastighed. Uanset om det er indpakket eller uindpakket gods giver Lisa Mini super hurtige autoklaveringer.

Under 10 minutter for uindpakket og under 19 minutter for indpakket gods.

Alt fungerer som en normal autoklave – bare mindre og hurtigere.

Uindpakket
Indpakket

REDAKTION

Nils-Erik Fiehn Lektor, dr.odont. Ansvarshavende og faglig-videnskabelig redaktør, nef@tdl.dk

Lorena Cruzado Grafisk designer, ldc@tdl.dk

FAGREDAKTION

Anders Troels Damgaard Adm. redaktør, atd@tdl.dk

Sofie Stokholm Jacobsen Redaktør og journalist, ssj@tdl.dk

Sofie Sparre Journalist, ssp@tdl.dk

Kim Andreasen Journalist, kia@tdl.dk

Palle Holmstrup Professor, dr.odont. Søren Schou Specialtandlæge, dr.odont.

Lise-Lotte Kirkevang Professor, dr.odont.

DET VIDENSKABELIGE PANEL

Lene Baad-Hansen, Erik Dabelsteen, Jon E. Dahl, Anne Havemose-Poulsen, Nuno Hermann, Palle Holmstrup, Siri Beier Jensen, Mats Jontell, Lise-Lotte Kirkevang, Björn Klinge, Mathilde Frost Kristensen, Gulnoush Bahrami Møller, Anne Marie L. Pedersen, Søren Schou, Svante Twetman, Ann Wenzel, Esben Boeskov Øzhayat

MANUSKRIPTVEJLEDNING

Videnskabelige manuskripter sendes til den faglig-videnskabelige redaktør på nef@tdl.dk. Find i øvrigt Tandlægebladets manuskriptvejledninger på Tandlægebladet.dk under menupunktet “Om Tandlægebladet”

ANNONCER

Stillingsannoncer og kollegiale henvendelser: Marketingkonsulent Tina Andersen ta@tdl.dk Produkt- og leverandørannoncer varetages af DG Media, Heidi Dyhr, tlf. 2834 2921, Heidi.d@dgmedia.dk, www.dgmedia.dk

UDEBLIVER TANDLÆGEBLADET?

Skriv til tbredaktion@tdl.dk. Ved adresseændring skriv til medlemsregistrering@tdl.dk

UDGIVER

Tandlægeforeningen, Amaliegade 17, 1256 Kbh. K Tandlægebladet udkommer 11 gange årligt Distribueret oplag pr. nummer: 5.441 Medlem af Danske Medier

ISSN: 0039-9153

LAYOUT OG GRAFISK PRODUKTION

Lorena Cruzado (AD) vahle+nikolaisen (layout og tryk)

FORSIDE

Alessandro Gottardo

VIDENSKABELIGT TEMA

Mundtørhed og nedsat spytsekretion

/811

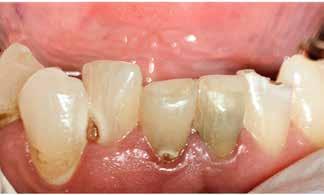
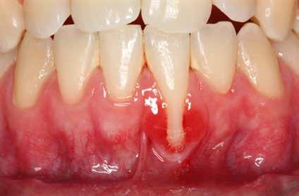
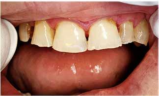
Få indblik i gingival retraktion – hvad årsagerne kan være, og hvordan man diagnosticerer og behandler.

/846

BAGGRUND

Tandlægeliv på land og i by

Storbyen og provinsen sætter forskellige rammer for hverdagen som tandlæge. Når tandlæger samler sig i de større byer, kan mindre lokalsamfund blive efterladt med en presset tandpleje.

/848

FAGSTAFETTEN

I denne måneds fagstafet svarer tandlæge Louise Hauge Matzen på, hvordan hun navigerer og prioriterer mellem forskning, undervisning og klinisk relevans. Og hvilke muligheder MR-teknologien giver tandlæger i praksis.

VIDENSKAB & KLINIK

Faglig leder / 811

CEVIK-ARAS H, KAMOUNAH S, PEDERSEN AML

Spytkirtlernes struktur og spyttets funktioner / 812

PEDERSEN AML, KAMOUNAH S, CEVIK-ARAS H

Årsager til xerostomi og nedsat spytsekretion / 822

KAMOUNAH S, CEVIK-ARAS H, PEDERSEN AML

Udredning af xerostomi og nedsat spytsekretion / 830

PEDERSEN AML, KAMOUNAH S, CEVIK-ARAS H

Aktuelle og potentielle fremtidige behandlingsmuligheder ved xerostomi og nedsat spytsekretion / 838

FAST STOF

Leder / 796

Update / 798

Guide / 846

Medlemsservice / 858

Et døgn med / 876

/856

Verdensklasse kommer ikke af sig selv

Jeg vil gerne starte med at sige stort tillykke til alle de nyvalgte byrødder rundt omkring i landets kommuner og til de nye medlemmer af de fem regionsråd.

Tandsundhed og tandpleje er ikke normalt noget, der fylder meget i valgkampe. Hverken hos vælgerne eller politikerne. Heller ikke denne gang. Men det burde det måske gøre. Vi bryster os tit og ofte af, at vi har en børne- og ungdomstandpleje i verdensklasse. Og med god grund. Siden den så dagens lys for mere end 50 år siden, har den revolutioneret tandsundheden hos nye generationer. Det har været en kæmpe succes, som vi kan takke både dygtige tandlæger og fremsynede politikere for.

Nu er det måske på tide at minde nutidens politikere om, at sådan en succes ikke kommer af sig selv og heller ikke er noget, man bare kan tage for givet i al evighed. Den kræver løbende vedligeholdelse og nye investeringer.

Børne- og ungdomstandplejen har inden for få år overtaget ansvaret for 300.000 ekstra patienter mellem 18 og 21 år. Det er rigtigt mange ekstra patienter, og det presser vores kolleger.

Der mangler tandlæger, klinikpersonale og flere stole. Det betyder ventelister, længere indkaldeintervaller og senere indkald til børns første tandlægebesøg. Og dermed også ringere mulighed for, at vi kan gribe ind i tide og forebygge tandsygdomme.

Nu er det måske på tide at minde nutidens politikere om, at sådan en succes ikke kommer af sig selv og heller ikke er noget, man bare kan tage for givet i al evighed

Det er ikke en god udvikling. Og i sidste ende risikerer vi at gamble med den høje tandsundhed, som vi har opbygget gennem årtier.

Tandlægeforeningen råbte vagt i gevær, allerede da børne- og ungdomstandplejen blev udvidet til de 18-21-årige, fordi vi med det blotte øje kunne se, at der ikke var kapacitet nok til at løfte så stor en opgave med de ressourcer, der fulgte med.

Nu har vi så at sige balladen. Det går ikke kun ud over børn og unge. Det presser også resten af den kommunale tandpleje, hvor ældre borgere ikke modtager den tandlægehjælp, de har behov for og er berettiget til.

Jeg ved godt, at et kommunalvalg ikke ændrer på kommunernes økonomiske situation her og nu. Men det er dog muligheden for en frisk start og en anledning til at gøre tingene anderledes og bedre.

Lad os hjælpe hinanden med at fortælle de nye byrødder det. ♦

TORBEN SCHØNWALDT

Formand for Tandlægeforeningen

Investeringerne i danskernes tandsundhed er gået i stå

UDGIFTERNE TIL VOKSNE DANSKERES BESØG HOS TANDLÆGEN

har stået stille siden 2010, viser nye beregninger. Tallene illustrerer det tydelige behov for et økonomisk løft til tandsundheden i en ny politisk aftale om voksentandplejen, siger formanden for Tandlægeforeningen.

De offentlige investeringer i tandsundhed er mere eller mindre gået i stå. Mens udgifterne til almen praksis for læger er steget støt, ligger de offentlige udgifter til tandpleje på fuldstændig samme niveau som for 15 år siden.

Det viser en ny opgørelse, som professor emeritus og sundhedsøkonom Jes Søgaard har lavet på baggrund af tal fra Danmarks Statistik.

Siden 2010 er det offentlige tilskud til tandplejen i privat praksis i Danmark kun steget med 0,2 procentpoint, hvis man måler i 2025-priser.

I samme periode er det offentliges udgifter til almen lægepraksis steget med over 18 procentpoint.

Politisk pres for midler

Ifølge Jes Søgaard fortæller tallene en tydelig historie om, at politikerne ikke har lyst til at investere i områder, hvor der ikke er et politisk pres for flere midler. Det rammer bl.a. tandsundheden.

- Personligt har jeg aldrig forstået, at tandsundheden ikke prioriteres på lige fod med resten af sundhedsområdet, og at området ikke fylder mere politisk, siger sundhedsøkonomen.

Han tror dog ikke, at patienterne skal sætte næsen op efter større statslige tilskud til tandbehandling, når regeringen og Folketingets partier om kort tid skal forhandle om en ny tilskudsmodel for voksentandplejen.

Ifølge Tandlægeforeningens formand, Torben Schønwaldt, bekræfter de nye beregninger, at politikerne i over et årti har forsømt at investere i voksne danskeres tandsundhed.

Der

er ikke

blevet investeret

så meget som en krone ekstra

TORBEN SCHØNWALDT

Formand for Tandlægeforeningen

- Der er ikke blevet investeret så meget som en krone ekstra. Og det holder ikke, når vi har flere ældre med slidte tænder og folk med kroniske sygdomme, der også går ud over deres tandsundhed, fx diabetes. Der skal være penge til forebyggelse og tilskud til dem, der har sygdomme i tænder og mund, siger han.

Omfordeling er en god idé

Torben Schønwaldt efterlyser en økonomisk ramme, der afspejler den demografiske udvikling og matcher befolkningens behov for behandling.

Mens regeringen indtil videre holder kortene tæt ind til kroppen, har både Tandlægeforeningen og Danske Regioner foreslået, at alle danskere over 21 år skal have et fast årligt beløb – Danske Regioner foreslår 400 kr. – til tandlægebesøg. Den resterende tilskudsramme skal så målrettes de patienter med størst behov for behandling gennem en model, som ligger tæt op ad den nuværende model for medicintilskud.

- Det er grundlæggende en god idé – også set fra et sundhedsfagligt perspektiv – at omfordele midlerne, så de patienter med mest behov for behandling også får et større tilskud, siger Jes Søgaard.

Professoren er dog i tvivl om, hvorvidt de 400 kr. er nok til at ”lokke” nogle af dem, der normalt ikke går til tandlæge, til at booke en tid.

Fire ud af 10 voksne danskere har ikke været til tandlæge inden for det seneste år. Og hos Tandlægeforeningen tror man, at en tandkonto kan motivere flere til at besøge tandlægen regelmæssigt.

Torben Schønwaldt understreger dog samtidig, at en tandkonto ikke kan stå alene.

- Det kan styrke forebyggelsen, men det hjælper jo ikke de mange tusinde danskere, der har brug for behandling som følge af tandsygdomme, fastslår han.♦

Udviklingen i offentlige udgifter

til henholdsvis almen praksis og tandlægepraksis 2010-2024 (2010 = indeks 100)

Almen praksis Tandlæger

15 år uden økonomisk

Sammenligner man politikernes villighed til at investere i henholdsvis danskernes tandsundhed og den generelle sundhed gennem de seneste 15 år, viser beregninger fra Danmarks Statistik – foretaget af professor og sundheds-

Kilde: Danmarks Statistik

økonom Jes Søgaard – et tydeligt billede. For mens investeringerne i almen praksis er steget med 18 procentpoint, er det status quo for investeringerne i tandlægepraksis, når beløbene opgøres i 2025-priser.

Ny guide til affaldssortering

FRA 1. JULI 2025 er der krav om, at virksomheder skal anvende klare plastsække ved aflevering af erhvervsaffald til forbrænding. Der er i alt tale om 10 typer affald. Tandlægeforeningen m.fl. har derfor udviklet en ny guide til affaldssortering, som kan bruges på klinikkerne.

Find den her:

påmærksom på, at der kan være lokale forhold, der gør sig gældende for din

Den nye forskning viser, at seksuel chikane er en af faktorerne, som hænger sammen med en øget risiko for hjertekarsygdomme og diabetes

REINER RUGULIES

Professor på Det Nationale Forskningscenter for Arbejdsmiljø

Ny forskning viser, at der er en øget risiko for hjerte-kar-sygdom eller diabetes blandt medarbejdere, der har været udsat for seksuel chikane på arbejdspladsen. Man kan dog ikke med sikkerhed konkludere, at chikanen er den direkte årsag.

Kilde: Det Nationale Forskningscenter for Arbejdsmiljø

Tandpastatuber i Storbritannien kan genanvendes

ALLE TANDPASTATUBER i Storbritannien, der bliver solgt landsdækkende, er nu 100 % genanvendelige. Det sker som led i et bæredygtighedsinitiativ anført af flere tandpastaproducenter. Tidligere har tuberne været en udfordring at genbruge, fordi de var lavet af en aluminiumsplade, der var klemt inde mellem plastik. Men nu er tuberne lavet af genanvendelig polyethylen.

Kilde: dentistry.co.uk

Vær
klinik

Til kamp mod røg på skoler

UNDERSØGELSER VISER, at en del elever fortsat ryger i skoletiden, selv om der i 2021 trådte en lov i kraft, der forbyder elever at ryge, dampe og bruge nikotinprodukter i skoletiden – både på og uden for skolens område. Men for mange skoler er det en udfordring at håndhæve loven, især på FGU-skoler og erhvervsskoler. Derfor har forskere fra Statens Institut for Folkesundhed søsat projektet ”Hov vi har en lov”, der skal følge op på den.

Kilde: SDU

Så meget højere er risikoen for at få et slagtilfælde, hvis man både har tandkødsbetændelse og caries, sammenlignet med personer med en sund mund, ifølge ny forskning publiceret i Neurology Journal. Dårlig mundhygiejne truer altså ikke kun tænderne, men også hjernen og hjertet.

Kilde: welltica.dk, neurology.org

LÆR AF FEJLEN

Siden 2010 har det været lovpligtigt for tandlæger at rapportere utilsigtede hændelser (UTH) til Styrelsen for Patientsikkerhed. I alle fem regioner er der ansat risikomanagere, der arbejder med at øge patientsikkerheden på tandlægeområdet bl.a. ved at drage læring af utilsigtede hændelser og videreformidle denne læring til gavn for andre tandlæger. I samarbejde med regionernes risikomanagere deler vi på denne plads patienttilfælde, som er omskrevet, men baseret på lignende indrapporteringer. Du kan rapportere en UTH på dpsd.dk

Manglende patientdata på prøve

PATIENTTILFÆLDE

Efter aftale med en afdelingssekretær på patologisk afdeling modtager afdelingen et prøveglas med en biopsi fra mundslimhinden fra en patient. Da patienten hverken har bopæl i Danmark eller et dansk CPR-nummer, oprettes prøven ikke elektronisk. En prøvetagningsblanket (PTB) med en beskrivende tekst om samtalen med patienten vedlægges prøvetagningsbeholderen. Men ved en fejl er der ikke blevet skrevet patientdata på PTB.

Rekvirenten kontaktes, og tandlægeklinikken bekræfter patientdata og giver yderligere info til prøvens videre oprettelse. Herefter oprettes prøven på patologisk afdeling.

LÆRING

Der kan hyppigt ske misforståelser ved kommunikation i en travl hverdag. I dette tilfælde kompliceres det yderligere af, at man ikke kan følge den vanlige procedure i forhold til elektronisk rekvisition, og at kommunikationen foregår på tværs af sektorer og fagligheder.

Når patientidentifikation og mærkning af prøvemateriale ikke kan udføres på en sædvanlig patientsikker måde, er det særligt vigtigt både at sikre den bedst mulige manuelle udfyldelse af PTB, og at der er en klar aftale om modtagelse af prøvemateriale. Fx ved at bruge Closed loop/ Tjek-svar til kommunikation for at sørge for, at budskabet er forstået korrekt af modtageren.

Det spørger I om

Er jeg forpligtet til at fortælle min arbejdsgiver, at jeg er gravid?

TANDLÆGEFORENINGEN: KOMMENDE KURSER

SVAR: Du skal fortælle din arbejdsgiver, at du er gravid senest tre måneder før forventet fødsel (termin).

Kontakt Tandlægeforeningen for rådgivning på tlf.: 70 25 77 11

Nyt fra Tdlnet

Mere fleksibel tandskadeforsikring fra Tryg

JANUAR

15

Middelfart

Konference for ansatte tandlæger

Tilmeldingsfrist: 11. december 2025

Ny rabataftale: Spar 25 % på vin og delikatesser hos Løgismose

412 klik

Et nyt samarbejde sikrer, at du som klinikejer både får en dækning, der lever op til lovens krav og 20 % rabat på den årlige præmie. Forsikringen kan tegnes med en præmie fra 0,46 % af klinikkens bruttoomsætning, når du er medlem af Tandlægeforeningen og har en omsætning på minimum 2,5 mio. kr. om året.

Klinikejer

dømt for usaglig opsigelse

JANUAR

Nyborg

Klinikejerkonference 2026

Tilmeldingsfrist: 12. december 2025

17 DECEMBER

19

Webinar

Fjernelse af visdomstand

Tilmeldingsfrist: 19. december 2025

Førende eksperter og netværk

Programmet for Årskursus 2026 er landet. Det løber af stablen den 13.-14.marts i København og har samlet branchens stærkeste kræfter til to dage fyldt med inspiration, ny viden og Danmarks største dentalmesse.

En klinikejer er blevet dømt til at betale en godtgørelse på 125.000 kr. til en klinikassistent for en usaglig opsigelse. I afgørelsen blev der lagt vægt på, at man kort tid forinden havde ansat en medarbejder i en stilling, som den opsagte medarbejder kunne have bestridt.

Ny model for voksentandplejen nærmer sig

Den nye model for voksentandplejen fremgår nu af regeringens lovprogram. Voksentandplejen har brug for en centralt forhandlet aftale, som giver tandlæger reel indflydelse på de vilkår, som gælder, når de løser opgaver for det offentlige, mener Tandlægeforeningen.

3-2-1 Et simpelt værktøj til patientdialogen

Som tandlæge spiller du en central rolle i at skabe gode mundplejevaner. Jordans 3-2-1-regel er udviklet til at gøre din patientvejledning enkel og håndgribelig.

3

UDSKIFT tandbørste hver 3. måned eller efter sygdom

2 BØRST tænder i 2 minutter, 2 gange dagligt

1 BRUG tandtråd mindst 1 gang dagligt

Med Jordans brede sortiment af tandbørster og interdentalprodukter kan du let anbefale løsninger, der understøtter 3-2-1-reglen og hjælper dine patienter med at fastholde en sund rutine.

Hver gang tandlæger udskriver en antibiotikumrecept til behandling i mundhulen, har det betydning for resistensen i hele kroppen. Resistente bakterier kan udvikles både i mundhulen og resten af kroppen, og de kan overføre resistensgener til andre, også sygdomsfremkaldende bakterier.

Den 18. november markerer vi Europæisk Antibiotikadag, og hvor vigtigt det er at anvende antibiotika forsvarligt. Årets rapport fra DANMAP over antibiotikaforbruget viser, at den generelle udvikling i forbruget af antibiotika ser ud til at være bremset op efter flere års stigning. Men den viser også, at resistensen mod flere typer antibiotika fortsætter med at stige.

Ifølge rapporten, der er udgivet af DTU Fødevareinstituttet og Statens Serum Institut, udskrev tandlæger 32,8 antibiotikarecepter pr. 1.000 indbyggere i 2024. Et svagt fald i forhold til året før, men stadig væsentligt højere end tidligere.

Især efter 2016, hvor Sundhedsstyrelsen udkom med de nationale kliniske retningslinjer for brug af antibiotika ved tandlægebehandling, gik udviklingen den rette vej. Men siden da er tandlægers udskrivning igen steget med omtrent 20 %.

Selvom tandlæger langt fra står for hovedparten af det samlede antibiotikaforbrug – kun omkring 6-7 % – bidrager de alligevel til det samlede resistensniveau i befolkningen.♦

Kilde: Tove Larsen, lektor, ph.d., Odontologisk Institut, Københavns Universitet

Små doser, store konsekvenser

Vidste du, at Colgate® tilbyder tandpasta uden SLS* skummemiddel?

– til patienter med særlige behov!

Anbefaler du tandpasta uden SLS* skummemiddel til patienter med særlige behov, såsom dem der anvender Klorhexidin mundskyl post-operativt, lider af blister (RAU) eller har tør mund? Colgate har nogle skånsomme alternativer, der giver samme gode effekt på tandsundheden som vores andre tandpastaer.

Scan QR-koden for mere information.

Middelhavskost kan fremme sundere

gingiva

EN VARIERET KOST rig på grøntsager, frugt, bælgfrugter og olivenolie ser ikke kun ud til at være god for hjertet – den kan også have betydning for gingivas sundhed. Et nyt tværsnitsstudie af 195 britiske hospitalspatienter, der er udført ved Oral & Craniofacial Sciences, Faculty of Dentistry på King’s College London (KCL), viser en mulig sammenhæng mellem middelhavskost, parodontal status og systemisk inflammation.

Resultaterne viste, at patienter, som ikke fulgte middelhavskosten, havde en tendens til mere alvorlig parodontitis – især hvis de spiste meget rødt kød. I denne gruppe fandt forskerne forhøjede niveauer af inflammationsmarkører, fx C-reaktivt protein.

Omvendt havde patienter med en kost rig på plantebaserede fødevarer som bælgfrugter, grøntsager, frugt og olivenolie lavere niveauer af inflammationsmarkører. Middelhavskosten, der kombinerer plantebaserede fødevarer med moderate mængder fisk, fjerkræ og mejeriprodukter, afspejler de traditionelle spisevaner i Middelhavsregionen.

Forskerne fremhæver, at tidligere studier har vist substantiel evidens for, at middelhavskosten kan styrke immunforsvaret, dæmpe inflammation og nedsætte risikoen for store folkesygdomme som hjerte-kar-sygdomme, neurodegenerative lidelser og visse kræftformer.

Det aktuelle studie indikerer, at en planterig middelhavskost kan spille en rolle i den helhedsorienterede håndtering af parodontitis, mens et højt indtag af rødt kød kan øge risikoen for mere fremskreden sygdom. Da undersøgelsen er tværsnitsbaseret og bygger på et relativt begrænset antal patienter, kan der dog ikke drages sikre konklusioner om årsagssammenhænge. Forskerne peger derfor på behovet for større og længerevarende studier for at bekræfte og uddybe resultaterne.

Mainas G, Grosso G, Di Giorgio J et al. Relationship between Mediterranean diet and periodontal inflammation in a UK population: A cross-sectional study. J Periodontol 2025. [Online ahead of print].

Æbleskræl

peger på nye veje i behandlingen af parodontitis

ET PLANTEBASERET STOF, som blandt andet findes i æbleskræl, er i et nyt laboratoriestudie blevet foreslået som et muligt alternativ til antibiotika. Forskerne har nemlig påvist, at stoffet kan være effektivt mod parodontitis.

Morin er et naturligt planteekstrakt, der findes i guavablade, skræl fra æbler og figner, visse teer samt i mandler. Forskere fra São Paulo State University har vist, at stoffet har antimikrobielle, antiinflammatoriske og antioxidative effekter, når det testes mod bakterier, der forårsager parodontitis.

Forskerne brugte modeller med epitelceller og neutrofiler, som blev udsat for to af de vigtigste bakterier, der giver parodontitis: Fusobacterium nucleatum og Porphyromonas gingivalis.

Det plantebaserede stof blev afprøvet mod en multispecies bakteriel biofilm, som var designet til at efterligne sygdommens påvirkning af gingiva.

Stoffet blev anvendt i pulverform, fremstillet via en tørringsproces, som minder om den, man bruger til at lave pulveriseret mælk. Forskerne konstaterede, at morin havde flere gavnlige virkninger. Det sænkede niveauet af proinflammatoriske cytokiner. Det dæmpede dannelsen af reaktive iltarter (ROS), som ellers kan skade væv og forværre sygdom. Og det hæmmede bakterievæksten – både hos enkelte bakterietyper og i blandede biofilm med flere arter. Effekten var mest udtalt, når morin blev givet via en polymerbaseret formulering, som øgede stabiliteten og forlængede frigivelsen.

Forskerne konstaterede, at morin havde flere gavnlige virkninger

Forskerne konkluderer, at morin fremstår som et muligt ikkeantibiotisk supplement til konventionel parodontal behandling. De understreger dog, at der er behov for kliniske studier, før stoffets praktiske anvendelse hos patienter kan vurderes.

Sales LS, Hewitt B, Muchova M et al. Anti-inflammatory, antioxidant, and antimicrobial evaluation of morin. Arch Oral Biol 2025;178:106343.

Misbrug af cannabis forbundet med øget risiko for oral cancer

MISBRUG AF CANNABIS er forbundet med mere end en tredoblet risiko for oral cancer. Det viser et studie fra UC San Diego School of Medicine.

Undersøgelsen bygger på et retrospektivt kohortestudie, som har undersøgt sammenhængen mellem cannabisbrugsforstyrrelse (CUD) og risikoen for oral cancer. I fem år fulgte forskerne 45.129 patienter, som havde gennemgået screening for misbrugsforstyrrelser i perioden 2012 til 2019, og som ikke tidligere havde fået diagnosticeret mundhulekræft. Patienterne blev betragtet som eksponerede, hvis de havde fået en diagnose for problematisk cannabisbrug (CUD) i perioden.

949 patienter (2,1 %) udviklede CUD i opfølgningsperioden. I alt fik 106 patienter oral cancer. Forekomsten var 0,23 % blandt patienter uden CUD og 0,74 % blandt patienter med CUD. Efter justering for alder, køn, BMI og tobaksrygning var CUD associeret med mere end tre gange så høj risiko for oral cancer. Resultaterne peger på, at patienter med CUD har en markant øget risiko for oral cancer. Selvom den absolutte incidens er lav, understøtter fundene en biologisk plausibel sammenhæng. Det skyldes, at cannabisrøg indeholder stoffer, der kan fremkalde cancer, og at de inhalerede partikler kommer i direkte kon-

Kommentar

ANNE MARIE LYNGE PEDERSEN

Professor, ph.d.

Odontologisk Institut, Københavns Universitet

Cannabis er et af verdens mest udbredte rusmidler, kun overgået af alkohol og nikotin. Der vides dog meget lidt om de langsigtede helbredsmæssige konsekvenser af brugen af cannabis. Cannabis kan indtages på forskellige måder, men de fleste ryger stoffet. Det er velkendt, at regelmæssig brug af cannabis kan føre til afhængighed og til et såkaldt problemskabende eller skadeligt forbrug. Tidligere studier har vist, at regelmæssig og vedvarende rygning af cannabis kan skade luftvejene og sandsynligvis også øge risikoen for lungekræft. Andre studier har antydet, at cannabisrygning er forbundet med en øget risiko for udvikling af oral cancer. Disse fund er dog meget omdiskuterede, idet mange cannabisrygere også ofte ryger tobak, som er den dominerende årsag til både lungekræft og mundhulekræft. Ved cannabisrygning udvikles desuden mange af de samme cancerogene stoffer, som findes i tobaksrøg.

takt med mundslimhinden, hvor de kan udløse celleforandringer. Studiet understreger vigtigheden af, at tandlæger er opmærksomme på denne patientgruppe. Tidlig identifikation og systematisk undersøgelse af mundslimhinden kan være særlig relevant i takt med, at cannabisbrug bliver mere udbredt og socialt accepteret.

Cuomo RE. Cannabis use disorder and five-year risk of oral cancer in a multicenter clinical cohort. Prev Med Rep 2025;57:103185.

Det nyligt publicerede studie udmærker sig ved at have undersøgt et omfattende patientjournalmateriale, grupperet patienterne i forhold til skadelig versus ikke-skadelig brug af cannabis og fulgt dem over en femårig periode. Studiet tager desuden højde for centrale baggrundsvariable, herunder tobaksrygning. Studiet bidrager således med vigtig evidens for, at hyppig eksponering for cannabisrøg er forbundet med en tre gange forøget risiko for at udvikle oral cancer fem år efter, at diagnosen ”problematisk cannabisbrug” er blevet stillet. Resultaterne understreger betydningen af en regelmæssig, systematisk mundslimhindeundersøgelse, især hos denne patientgruppe, og et skærpet fokus på et eventuelt cannabisbrug ved indhentning af anamnestiske oplysninger og ved patientinformation og -rådgivning.

Primær Sjögrens syndrom: Implantater kan fungere godt

ERSTATNING AF MANGLENDE ENKELTSTÅENDE TÆNDER med tandimplantater kan være en succesfuld behandling hos patienter med primær Sjögrens syndrom (pSS). Det viser et forskningsprojekt på Odontologisk Institut ved Københavns Universitet.

I projektet blev 23 patienter med pSS og 24 matchede kontrolpersoner (alle kvinder med en gennemsnitsalder på 57 år) undersøgt klinisk og radiologisk. Patienterne blev bedt om selv at indrapportere data via spørgeskemaet Oral Health Impact Profile (OHIP). Undersøgelserne blev foretaget to måneder efter protetisk behandling og igen efter henholdsvis ét, tre og fem år. Resultaterne viste, at det samlede DMFTtal var signifikant højere (P = 0,008), symptomer på mundtørhed var mere udtalte (P = 0,001), og både ustimuleret og tygge-stimuleret spytsekretion var signifikant lavere hos pSS-patienterne (P < 0,001) sammenlignet med kontrolgruppen.

Patienter med pSS har dårligere mundsundhed

og mere mundtørhed

Samtidig blev alle implantater siddende og viste ingen tegn på at løsne sig, og der var ingen væsentlig forskel mellem grupperne, når man målte plak eller pochedybder. OHIP-scoren var dårligere hos pSS-patienterne end hos de raske, men begge grupper fik det bedre efter implantatbehandlingen.

Forskerne konkluderede, at patienter med pSS har dårligere mundsundhed og mere mundtørhed. Implantatbehandlingen virker lige så godt hos pSS-patienter som hos raske, og den kan også fremme livskvaliteten hos pSS-patienter.

Hosseini M, Jensen SS, Gotfredsen K, Hyldahl E, Pedersen AML. Prognosis of single implant-supported prosthesis in patients with primary Sjögren's syndrome: a five-year prospective clinical study. Clin Oral Implants Res 2025;36:51-63.

MR-scanning viser lovende resultater som redskab i ortodonti

MR-SCANNINGER KAN VÆRE ET PÅLIDELIGT ALTERNATIV til røntgen ved diagnostik og behandlingsplanlægning i ortodonti. Det viser en ny analyse fra forskere ved Institut for Odontologi og Oral Sundhed på Aarhus Universitet, som har gennemgået eksisterende studier om brugen af MR inden for ortodonti.

Analysen omfattede 10 relevante studier, som blev identificeret gennem søgninger i databaser som PubMed, Scopus og Cochrane samt i den såkaldte ”grå litteratur”, som fx Google Scholar og OpenGrey. Studiernes kvalitet blev vurderet med et standardiseret værktøj, og den samlede styrke af evidensen blev vurderet med GRADE-metoden.

På tværs af studierne fremstod MR generelt som sammenlignelig med CBCT og laterale chefalogrammer, når det gjaldt identifikation af anatomiske referencepunkter i ortodontisk arbejde. Der var generelt høj overensstemmelse, både ved gentagne vurderinger af samme undersøger og når forskellige undersøgere vurderede de samme billeder. Studiernes kvalitet varierede dog, og forskelle i MR-protokoller og deltagergrupper gjorde direkte sammenligninger vanskelige. Forskerne peger derfor på behovet for fremtidige studier med mere ensartede metoder for at opnå stærkere og mere sammenlignelige resultater.

Sukeshana S, Spin-Neto R, Aiyar A. Stoustrup PB. Accuracy and reliability of magnetic resonance imaging in orthodontic diagnosis and treatment planning – a systematic review and meta-analysis. Eur J Orthod. 2024;46:cjae019.

Løft din diagnostik med TRIOS 6

Med TRIOS 6 og den nye DX Plus-software får du helt nye muligheder for at stille præcise diagnoser og styrke kommunikationen med dine patienter.

Dine fordele med TRIOS 6 og TRIOS DX Plus:

• Opdag nemt plak, caries, slid og tandkødsrecession – med hjælp fra AI.

• Se farver og detaljer som aldrig før med 110 % bedre scanningskvalitet.

• Del dine fund og anbefalinger direkte med patienten via DentalHealth App.

Vil du høre mere om TRIOS 6?

Ring til os på 43 66 44 44 – uanset om du vil booke en demo, have en pris eller bare høre, hvordan TRIOS 6 kan gøre en forskel for dine behandlinger.

Scan QR-koden og oplev dine muligheder med DX Plus

Tema: Mundtørhed og nedsat spytsekretion

Xerostomi (følelsen af mundtørhed) skyldes ofte, at spytsekretionen er nedsat og/eller, at spyttets sammensætning er ændret. Da spyttet spiller en vigtig rolle for opretholdelse af sunde orale forhold, vil nedsat spytsekretion hyppigt resultere i en øget forekomst af orale sygdomme som caries, tanderosion og gærsvampeinfektioner samt følsomme, sviende og brændende mundslimhinder. Desuden kan orofaryngeale funktioner samt det generelle helbred og velbefindende blive påvirket. Xerostomi udgør et væsentligt problem for en stor del af befolkningen og kan udgøre en diagnostisk og behandlingsmæssig udfordring for klinikeren. Indtagelse af visse lægemidler er den hyppigste årsag til xerostomi og nedsat spytsekretion. Forekomsten af disse tilstande forventes at stige i fremtiden, idet andelen af ældre i befolkningen vokser, flere patienter overlever sygdomme i længere tid på grund af forbedret diagnostik og medicinsk behandling, og antallet af multisyge og multimedicinerede patienter øges. Udredning af årsager til xerostomi

og nedsat spytsekretion kræver ikke blot indsigt i spytkirtlernes struktur og funktion under normale forhold, men også et grundigt kendskab til, hvorledes forskellige sygdomstilstande og deres medicinske behandling kan influere herpå. Temaet om xerostomi og nedsat spytsekretion i dette nummer af Tandlægebladet omfatter en række oversigtsartikler, der belyser spytkirtlernes struktur og funktion under normale og patologiske forhold, hyppige årsager til xerostomi og nedsat spytsekretion samt udredning og behandlingsmuligheder ved xerostomi og nedsat spytsekretion. Desuden berøres tilskudsmuligheder til tandpleje i henhold til Sundhedslovens §166. ♦

ANNE MARIE LYNGE PEDERSEN

Professor, faglig tilrettelægger af temaet

ABSTRACT

Denne artikel giver et kort overblik over spytkirtlernes anatomiske opbygning, reguleringen af spytsekretionen og selve spytdannelsen samt spyttets betydning for opretholdelse af sunde orale forhold og orofaciale funktioner. Spytkirtlerne inddeles i de store parrede spytkirtler, glandulae (gll.) parotideae, submandibulares og sublinguales, og de talrige små spytkirtler, som ligger submukøst i mundslimhinden. Spytkirtlerne er opbygget af sekretoriske endestykker (acini) med tilhørende udførselsgange. Spytkirtler, der består af serøse acini, danner et vandigt sekret, mens spytkirtler, der består af mukøse acini, danner et tyktflydende, viskøst sekret. Spytkirtler med både serøse og mukøse acini danner et blandet sekret, hvis konsistens afhænger af bl.a. mucinindholdet. Spytsekretionen reguleres af det autonome nervesystem via reflekser, der igangsættes ved især tygning og smagssansning, men også via impulser fra overordnede centre i hjernen. Spytdannelsen igangsættes ved binding af neurotransmittersubstanser til receptorer på spytkirtelcellernes overflademembran. Gastrointestinale hormoner kan også påvirke spytdannelsen. Det primære spyt dannes af acinuscellerne og modificeres i udførselsgangen. Det betyder, at det endelige spyt, der secerneres til mundhulen, er hypotont i forhold til plasma. Spyttets væsentligste funktion er at beskytte tænder og slimhinder, men det har også betydning for den initiale fordøjelse, smagsopfattelsen, tygning, desuden dannelse af fødebolus og synkning samt fremmer evnen til at tale.

Spytkirtlernes struktur og spyttets funktioner

HÜLYA CEVIK-ARAS, lektor, tandlæge, ph.d., Sektion for Oral Biologi og Immunpatologi/Oral Medicin og Patologi, Odontologisk Institut, Det Sundhedsvidenskabelige Fakultet, Københavns Universitet

SARAH KAMOUNAH, tandlæge, ph.d., gæsteforsker, Sektion for Oral Biologi og Immunpatologi/Oral Medicin og Patologi, Odontologisk Institut, Det Sundhedsvidenskabelige Fakultet, Københavns Universitet

ANNE MARIE LYNGE PEDERSEN, professor, tandlæge, ph.d., Sektion for Oral Biologi og Immunpatologi/Oral Medicin og Patologi, Odontologisk Institut, Det Sundhedsvidenskabelige Fakultet, Københavns Universitet

Accepteret til publikation den 8. maj 2025 Tandlægebladet 2025;129:812-20

DENNE OVERSIGTSARTIKEL er en gennemgang af spytkirtlernes normale struktur og funktion samt spyttets funktioner. Den bygger både på veldokumenteret viden fra lærebøger og på den nyeste forskning. Den nyeste litteratur er udvalgt fra databasen PubMed primært ved anvendelsen af søgeordene: Salivary gland, saliva, innervation og secretion.

DE STORE OG SMÅ SPYTKIRTLERS ANATOMISKE

STRUKTUR

Korrespondanceansvarlig førsteforfatter: HÜLYA CEVIK-ARAS hulya.cevik-aras@sund.ku.dk

De humane spytkirtler klassificeres makroskopisk som enten store eller små. De store spytkirtler er parrede og omfatter gll. parotideae, gll. submandibulares og gll. sublinguales. De hundredvis af små spytkirtler findes submukøst i hele mundhulen, bortset fra fastbundne gingiva og forreste del af den hårde gane (sv.t. rugae). De er navngivet efter deres placering: gll. labiales, gll. buccales, gll. palatinae, gll. retromolares og gll. linguales. De lingvale spytkirtler opdeles yderligere i en anterior og en posterior del, hvor den posteriore del også er kendt som de von Ebnerske kirtler (1). I 2020 blev der ved hjælp af positronemissionstomografi (PET-scanning) påvist spytkirtellignende strukturer, kaldet tubariekirtler, i den bageste del af nasopharynx nær torus tubarius (åbningen til det eustakiske rør) (2). Tubariekirtlerne består histomorfologisk af mukøse acinusceller, myoepiteliale celler og duktusceller, men intet sekretrørsepitel, og ligner således de små palatinale spytkirtler

(2). Tubariekirtlernes funktion og deres bidrag til den samlede spytproduktion er endnu ikke fuldt afklaret. Deres anatomiske placering antyder, at de bidrager til befugtning af nasopharynx og den øvre del af svælget, hvilket understøtter synkning og tale (2). Ved strålebehandling pga. kræft i hoved-hals-regionen eller hjernemetastaser kan disse kirtler beskadiges, hvilket kan resultere i synkebesvær og forværring af xerostomi (2).

De store spytkirtler er i modsætning til de små spytkirtler omsluttet af en bindevævskapsel, der strækker sig ind i spytkirtlen med bindevævssepta, som deler spytkirtelvævet ind i mindre enheder, kaldet lobuli. Disse bindevævssepta indeholder større blodkar, lymfekar og nerver, som forsyner spytkirtelvævet (Fig. 1).

Den mindste sekretoriske enhed i spytkirtlerne kaldes et sekretorisk endestykke eller acinus (flertal: acini). Histologisk består et acinus af acinusceller, der er centreret omkring et lumen. Dette lumen er forbundet til et forgrenet system af udførselsgange, som spyttet løber igennem for til sidst at nå ud i mundhulen.

Spytkirtlerne klassificeres også på baggrund af de acini, som de er opbygget af, og dermed deres sekretionsprodukt. Acinusceller kan være serøse eller mukøse (Fig. 1). De serøse acinusceller er polygonale, har basalt placerede kerner, et rigt endoplasmatisk reticulum og talrige sekretoriske granula, der indeholder proteiner, herunder enzymerne amylase og lipase. Mukøse acinusceller har basalt placerede flade kerner og sekretoriske granula, der indeholder mukopolysakkarider (muciner). Nogle spytkirtler indeholder både serøse og mukøse acini og kaldes derfor for blandede kirtler (1). På almindeligt formalinfikserede og rutinefarvede vævssnit (hæmatoxylin-eosin) kan mukøse acini fremstå som halvmåneformede strukturer (benævnt von Ebnerske halvmåner) på serøse acini. Dette er dog ikke en egentlig celletype, men et artefakt forårsaget af konventionel histologisk fiksering (3). Glandula parotidea er udelukkende opbygget af serøse acini, og den producerer et vandigt spyt, der indeholder proteiner, bl.a. enzymer, men ikke muciner. Glandula submandibularis er en blandet, men overvejende serøs kirtel, mens glandula sublingualis er en overvejende mukøs kirtel (4). De blandede kirtler danner et mere viskøst sekret og viskoelasticiteten er afhængig af typen og indholdet af mucin.

Udførselsgangsystemet i de store spytkirtler er opdelt i indskudsstykker, sekretrør og ekskretoriske udførselsgange (Fig. 1). Indskudsstykket er involveret i dannelsen og transporten af primærspyt til udførselsgangsystemet og fungerer samtidig som en stamcelle-niche. Denne stamcellefunktion er afgørende for opretholdelsen af normal spytkirtelfunktion og har central betydning, især ved regeneration efter fx strålebehandling og ved tumorudvikling (5). Visse såvel benigne som maligne spytkirteltumorer udgår fra celler i indskudsstykket, bl.a. det kanalikulære adenom og det polymorfe adenokarcinom. Benigne tumorer som pleomorfe adenomer stammer typisk fra disse celler, mens maligne tumorer som mucoepidermoide karcinomer og adenocystiske karcinomer har oprindelse i indskudsstykket (6). Skader på spytkirtlerne, som ved strålebehandling eller autoimmune sygdomme, herunder Sjögrens sygdom, kan føre til

betydelig reduktion i både spytkvalitet og -mængde. Dette kan resultere i en række orale komplikationer, herunder xerostomi, øget risiko for caries, oral candidose, erosion og tandslid (7). Stamceller rummer et stort potentiale for behandling af spytkirteldysfunktioner, idet fortsat forskning kan udnytte deres terapeutiske egenskaber og dermed give nyt håb for patienter med disse lidelser i fremtiden.

Cellerne i sekretrøret er kendetegnet ved et højt indhold af mitokondrier, som bidrager til den meget energikrævende proces, der finder sted i sekretrøret. I sekretrøret modificeres primærspyttet således ved reabsorption af natrium og klorid og sekretion af kalium og bikarbonat. Da duktuscellerne er relativt vandimpermeable, resorberes vandet i primærspyttet ikke. Det betyder, at det endelige spyt, der secerneres til mundhulen, er hypotont i forhold til plasma (4). De små spytkirtler har korte udførselsgange, der munder direkte ud i mundslimhinden. Disse udførselsgange er typisk uforgrenede og mangler det komplekse udførselsgangsystem, som er karakteristisk for de store spytkirtler (8).

De myoepiteliale celler omgiver acini og indskudsstykket i både store og små spytkirtler. De er stjerneformede celler med lange cytoplasmaudløbere og har kontraktile egenskaber. Det vil sige, at de responderer på autonom nervestimulation ved kontraktion, hvilket fremmer spyttets passage, men samtidigt bidrager til at opretholde cellulære strukturer ved de trykændringer, der udløses ved stimulation af acinuscellen ved dannelse af primært spyt (9).

REGULERING AF SPYTSEKRETIONEN

Spytsekretionen kontrolleres primært af det autonome nervesystem og således både af det parasympatiske og sympatiske nervesystem. De ubetingede og betingede reflekser, der aktiverer og regulerer spytsekretionen, indeholder en afferent sensorisk del og en efferent sensorisk del (Fig 2). Ubetingede reflekser udløses ved tygning via aktivering af mekanoreceptorer i parodontalligamentet og ved smagssansning via aktivering af kemoreceptorer i smagsløg på tungen, epiglottis og svælget. De afferente sensoriske stimuli formidles videre til ”salivationscentret” (som er kerneområder for parasympatisk aktivering af spytsekretionen, nuclei salivatorii inferiores et superiores) i medulla oblongata via nervus (n.) trigeminus og for smagssansning via n. facialis (chorda tympani), n. glossopharyngeus og n. vagus. Ubetingede reflekser kan også udløses ved aktivering af proprioceptorer fx i tyggemusklerne og nociceptorer i mundslimhinden. Desuden kan kvalme, opkastning og gastritis aktivere strækreceptorer i ventriklen og via n. vagus, der formidler de afferente sensoriske signaler, føre til aktivering af spytkirtlerne og dermed øget spytsekretion (10).

De betingede reflekser er tillærte, som demonstreret i Pavlovs klassiske eksperiment med hunde, og kan udløses ved lugte-, syns- og lydindtryk samt tanker om mad. Betydningen af disse betingede reflekser er dog vanskelig at dokumentere for mennesker. Ud over at modtage impulser via reflekser modtager ”salivationscentret” (nuclei salivatorii inferiores et superiores) også impulser fra overordnede centre i hjernen, bl.a. hypothalamus og det limbiske system, som enten hæmmer eller

Spytkirtlernes opbygning

Fig. 1. Skematisk illustration af en stor spytkirtel, gl. submandibularis (øverste billede) samt et forstørret udsnit af kirtelvævet (nederste billede), der viser blandede sekretoriske endestykker (acini) bestående af hhv. serøse (lyserøde) og mukøse (hvide) acinusceller. De store spytkirtler er omgivet af en bindevævskapsel, som strækker sig ind i kirtlen og opdeler den i mindre enheder kaldet lobuli. I bindevævet ses store blodkar, lymfekar og nerver. Et acinus er opbygget af acinusceller centreret omkring et lumen, som står i forbindelse med udførselsgangsystemet, dvs. indskudsstykke, sekretrør og ekskretorisk udførselsgang, hvorigennem spyttet transporteres til mundhulen. De stjerneformede myoepiteliale celler (blå) omgiver acinus og indskudsstykket.

Fig. 1. The figure shows a schematic illustration of a major salivary gland, submandibular gland (upper image), and a magnified section of the glandular tissue (lower image) demonstrating mixed acini, consisting of both serous (pink) and mucous (white) acinar cells. The gland is enclosed by a connective tissue capsule, which extends into the gland to divide it into smaller units called lobules. The connective tissue comprises larger blood vessels, lymphatic vessels, and nerves that supply the gland. An acinus is formed by acinar cells arranged around a central lumen, which connects to a series of ducts; intercalated ducts, striated ducts, and excretory ducts through which saliva is transported to the oral cavity. The star-shaped myoepithelial cells (blue) are located around the acinus and intercalated duct.

fremmer spytsekretionen. Nervøsitet, angst og depression kan således hæmme spytsekretionen, mens opstemthed og mani kan have den modsatte effekt (11,12).

De efferente sekretoriske signaler sendes via parasympatiske og sympatiske nerver videre til spytkirtlerne. De præganglionære parasympatiske nervefibre danner synapser i ganglier nær spytkirtlerne (Fig 2). Parasympatiske, sekretoriske, nervefibre løber fra nucleus salivatorius inferior via n. glossopharyngeus (9. hjernenerve) til ganglion oticum, hvor der sker en omkobling, og herefter løber de via n. auriculotemporalis videre til gl. parotidea. Parasympatiske, sekretoriske nervefibre fra nucleus salivatorius superior løber via n. facialis (7. hjernenerve), videre gennem chorda tympani og derefter via n. lingualis til ganglion submandibulare, hvor de omkobles. De postganglionære parasympatiske nervefibre aktiverer både gl. submandibularis og gl. sublingualis (12,13). Præganglionære sympatiske nervefibre udspringer fra de øvre torakale segmenter af rygmarven og forløber via korte nervefibre til det øvre cervikale ganglion cervicale i den sympatiske grænsestreng (truncus sympaticus), hvor de danner synapser. Dernæst følger de lange postganglionære sympatiske nervefibre blodkarrene (dvs. arteria (a.)

Regulering af spytsekretionen

klinisk relevans

Det er vigtigt for tandlæger at have kendskab til spytkirtlernes normale struktur og funktion samt spyttets rolle i at opretholde en sund mund. Dette kendskab er nødvendigt for at kunne forstå afvigelser, herunder spytkirteldysfunktion, som kan opstå ved sygdom eller som følge af forskellige former for behandling. Det er også vigtigt i forbindelse med vurdering af, om patienten skal henvises til videre udredning og i forbindelse med behandling og forebyggelse.

carotis externa, a. facialis, a. lingualis, a. submentalis og a. sublingualis) ud til spytkirtlerne (12,13) (Fig. 2).

Spytsekretionen igangsættes ved aktivering af muskarine kolinerge og adrenerge (α1- og β1-) receptorer på acinuscellernes overflade (Fig. 3). Det parasympatiske og sympatiske nervesystem arbejder i synergi i relation til aktivering af spytkirtelcellerne og deler intracellulære signalveje (dannelse

Fig. 2. Skematisk illustration af den autonome regulering af spytsekretion. Afferente sensoriske signaler, herunder ubetingede reflekser (tygning, smag) og betingede reflekser (lugt, syn og tanke om mad), integreres i nuclei salivatorii i medulla oblongata. Parasympatiske efferente sekretoriske signaler udgår fra nucleus salivatorii superior og løber via n. facialis (VII) til ganglion submandibulare, hvor de omkobles, før de innerverer gll. submandibulares og gll. sublinguales. Signaler fra nucleus salivatorii inferior løber via n. glossopharyngeus (IX) til ganglion oticum og herfra videre til gll. parotidea. Sympatiske efferente signaler til spytkirtlerne udgår fra de øvre torakale segmenter af medulla spinalis og omkobles i ganglion cervicale superius i truncus sympaticus.

Fig. 2. Schematic illustration of the autonomic regulation of salivary secretion. Afferent sensory signals, including unconditioned reflexes (mastication, taste) and conditioned reflexes (smell, sight, and thought of food), are integrated in the salivatory nuclei of the medulla oblongata. Parasympathetic efferent secretory signals arise from the superior salivatory nucleus and travel via the facial nerve (VII) to the submandibular ganglion, where they synapse before innervating the submandibular and sublingual glands. Signals from the inferior salivatory nucleus travel via the glossopharyngeal nerve (IX) to the otic ganglion, and from there innervate the parotid gland. Sympathetic efferent secretory signals to the salivary glands originate from the upper thoracic spinal cord and synapse in the superior cervical ganglion of the sympathetic trunk.

af cyklisk adenosin 3’,5’-monofosfat (cAMP) og aktivering af proteinkinase A samt dannelse af inositol 1,4,5-trifosfat (IP3) og frigivelse af intracellulært calcium) samt nitrogenoxid (NO) (11-14). De postganglionære parasympatiske nervefibre frigiver acetylkolin, som aktiverer muskarine kolinerge receptorer (hovedsageligt M3-receptorer) og vasoaktivt intestinalt peptid (VIP), som binder sig til VIP-receptorer. Det medfører udskillelse af spyt med et højt vand- og proteinindhold (dog ikke glykoproteiner). De postganglionære sympatiske nervefibre frigiver noradrenalin, som aktiverer henholdsvis α1- og β1-adrenerge receptorer, hvilket fører til udskillelse af et mere sparsomt spyt med et højt protein og glykoproteinindhold (Fig. 3). Blokering af én receptortype forstyrrer ikke blot dens direkte respons, men også den synergistiske effekt af de øvrige. Spytsekretionen kan også igangsættes og forstærkes ved aktivering af såkaldte

Spytdannelsen

non-adrenerge, non-kolinerge neuropeptider (fx VIP, NO, calcitonin gen-relateret peptid (CGRP) og substans P) (14, 15). Disse neuropeptider kan interagere synergistisk med hinanden og med neurotransmittere (acetylkolin og noradrenalin) (14,15).

DANNELSE AF PRIMÆRT SPYT

Binding af acetylkolin til muskarine receptorer og noradrenalin til adrenerge receptorer udløser aktivering af cellemembranernes inositolfosfatmetabolisme (Fig. 3). Det fører til dannelse af de intracellulære budbringere (IP₃) og diacylglycerol (DAG). IP₃ udløser frigivelse af calcium (Ca²⁺) fra intracellulære calciumdepoter. Det resulterer i en markant stigning i den intracellulære Ca²⁺ koncentration, som fører til samtidig åbning af calciumafhængige kalium (K⁺)- og klorid (Cl⁻)-kanaler, hvilket medfører transport af K⁺ ud af cellen til interstitiet og transport

Fig. 3. Skematisk illustration af den intracellulære signalvej involveret i dannelsen af primært spyt (højre) og den efterfølgende modifikation til hypotont spyt (venstre). Ved aktivering af det parasympatiske nervesystem frigives acetylkolin (og samtidigt VIP, vasoaktivt intestinalt peptid), som binder sig til muskarine kolinerge receptorer, og ved aktivering af det sympatiske nervesystem noradrenalin, som binder sig til adrenerge receptorer (α1 og β1) på acinuscellernes plasmamembran. Dette medfører aktivering af inositol-1,4,5-trisphosphat (IP₃), som resulterer i en stigning i den intracellulære Ca²+-koncentration. Det forhøjede Ca²+-niveau aktiverer calcium-afhængige K+- og Cl–-kanaler, hvilket udløser transport af K+ til interstitiet og Cl– ind i lumen. Tabet af Cl– skaber et lumen-negativt transepitelialt potentiale, som driver en paracellulær transport af Na+ ind i lumen. Vand følger NaCl ved osmose gennem aquaporiner og tight junctions og derved dannes et primært spyt, som er isotont med plasma, dvs. med høj saltkoncentration. Under passagen gennem udførselsgangsystemet (venstre) reabsorberes Na+ og Cl–, men ikke vand, i sekretrørene, mens en vis mængde K+ og HCO₃ – secerneres, hvilket betyder, at det endelige spyt, der kommer ud i munden, er hypotont ift. plasma.

Fig. 3. Schematic illustration of the intracellular signaling pathway involved in the formation of primary saliva (right) and its subsequent modification into hypotonic saliva (left). Upon activation of the parasympathetic nervous system, acetylcholine (and simultaneously VIP, vasoactive intestinal peptide) is released and binds to muscarinic cholinergic receptors. Activation of the sympathetic nervous system releases noradrenaline, which binds to adrenergic receptors (α1 and β1) on the plasma membrane of acinar cells. This leads to the activation of inositol-1,4,5-trisphosphate (IP₃), resulting in an increase in intracellular Ca² concentration. The elevated Ca² level activates calciumdependent K+ and Cl– channels, triggering the transport of K+ into the interstitium and Cl– into the lumen. The loss of Cl– creates a lumen-negative transepithelial potential, which drives the paracellular transport of Na+ into the lumen. Water follows the NaCl by osmosis through aquaporins and tight junctions, thereby forming a primary saliva that is isotonic with plasma, i.e., with high salt concentration. During its passage through the ductal system, Na+ and Cl– are reabsorbed in the secretory ducts, while water is not. Simultaneously, a portion of K and HCO₃ – is secreted, resulting in the final saliva released into the oral cavity being hypotonic relative to plasma.

af Cl⁻ ind i lumen på acinus. Tabet af Cl⁻ til lumen skaber et negativt transepitelialt potentiale, som driver den paracellulære transport af natrium (Na⁺) ind i lumen. Vand følger salt (NaCl) via osmose og bevæger sig gennem vandkanaler (aquaporiner) samt tætte celleforbindelser (tight junctions) ind i lumen. Det primære spyt er isotont i forhold til plasma og med elektrolytniveauer sv.t. dem, der ses i plasma. Efter stimulation genoprettes den intracellulære natriumkoncentration via aktivering af et koblet transportsystem, som udveksler ekstracellulært Na⁺ med intracellulært hydrogen (H+). Denne Na⁺/ H+-exchanger varetager hovedparten af den natriumoptagelse, der finder sted efter stimulation, og regulerer samtidigt den intracellulære pH. Den øgede natriumkoncentration stimulerer Na+/K+-pumpen, som ved en energikrævende (ATP) proces aktivt pumper Na+ ud af cellen og K+ ind i cellen. Den præstimulatoriske, intracellulære kloridkoncentration genoprettes via Cl– /HCO₃⁻ -udveksling og/eller via Na+/K+/2 Cl– co-transportsystemet, hvorved klorid transporteres ind i cellen. Endelig udvider cellen sig til oprindelig størrelse, når vand trænger ind i cellen via osmose, og cellen er klar til fornyet stimulation (3,9,10).

Ved aktivering af de adrenerge receptorer sker der også en syntese, proteinfosforylering og udskillelse af proteiner ved exocytose fra acinuscellen til primærspyttet. Diacylglycerol (DAG) aktiverer således proteinkinase C, der igangsætter en kaskade af intracellulære reaktioner, som fører til frigørelse af proteiner via exocytose. Den β-adrenerge stimulation aktiverer enzymet adenylatcyklase, der medfører dannelsen af cyklisk AMP ud fra ATP. Den intracellulære cAMP aktiverer via proteinkinase A en kaskadereaktion, der også fører til udskillelse af proteiner ved exocytose (16,17).

Det er vist, at gastrointestinale hormoner som cholecystokinin (CCK), gastrin og melatonin kan udløse proteinsekretion, men ikke vandsekretion, fra spytkirtler hos rotter (18,19) og mennesker (20,21). De store spytkirtler udtrykker CCK Aog B-receptorer og melatoninreceptorer (MT1 og MT2). I gl. parotidea er CCK A-receptorer hovedsageligt lokaliseret i acinuscellerne, mens type B-receptorer primært findes i epitelet i udførselsgangene, og melatonin 2-receptorer er mere jævnt fordelt (20,21). Niveauerne af CCK, gastrin og melatonin i blodet stiger ved fødeindtagelse, og via binding til receptorer på acinuscellerne udløser de proteinsekretion og -syntese (22,23).

MODIFICERING AF DET PRIMÆRE SPYT

Cellerne i udførselsgangen kontrolleres ligesom acinuscellerne af det parasympatiske og sympatiske nervesystem. Ductuscellerne er også under indflydelse af det antidiuretiske hormon aldosteron, som er et mineralokortikoid. I sekretrøret modificeres det primære spyt, idet der her sker en betragtelig reabsorption af Na+ og Cl– og en vis sekretion af K+ og HCO₃⁻. I modsætning til acinuscellerne er ductuscellerne relativt vandimpermeable, og derfor sker der ikke en reabsorption af vand. Det spyt, der secerneres til mundhulen, er således hypotont i forhold til plasma (16) (Fig. 3).

Na⁺/K⁺-pumpen i den basolaterale membran på cellerne i sekretrøret transporterer Na⁺ aktivt ud i interstitiet, hvilket driver Na⁺-reabsorptionen fra lumen via Na⁺-kanaler (ENac) og Na⁺/

H⁺-udvekslingssystemet. Dette balanceres af Cl⁻-reabsorption gennem Cl⁻-kanaler og Cl⁻/HCO₃⁻-udveksling, mens en vis mængde K⁺ secerneres til lumen. Spyttets elektrolytsammensætning afhænger af den hastighed, hvorved spyttet dannes. Ved lave spytsekretionshastigheder som under hvile reabsorberes der mere natrium og klorid end ved stimulerede, høje spytsekretionshastigheder. Bikarbonatkoncentrationen og dermed pH øges også i takt med, at spytsekretionshastigheden øges (12).

HELSPYT

Helspyt er en blanding af sekret fra både de store og små spytkirtler samt mikroorganismer, afstødte orale epitelceller, madrester, gingivalvæske, blodceller og plasmaproteiner. De tre store, parrede spytkirtler bidrager med ca. 90 % af den samlede spytproduktion, mens de resterende ca. 10 % kommer fra de små spytkirtler. De små spytkirtler producerer en betydelig del af de proteiner, der findes i helspyt, især de lubrikerende spytproteiner. Raske personer har en gennemsnitlig daglig spytproduktion på 600 ml. Gll. submandibulares bidrager mest til spytmængden under hvile og ved smagsstimulation, mens gll. parotideae bidrager mest ved tyggestimulation. Spyt består af 99 % vand og 1 % tørstof (organiske og uorganiske komponenter) og spiller en afgørende rolle i at beskytte tænder og mundslimhinden og har betydning for den initiale fordøjelse, tygning, synkning, smagsperception og tale (24).

De små spytkirtler bidrager med ca. 10 % af den samlede spytmængde, men de spiller en væsentlig rolle i produktionen af mucin, som udgør omkring 70 % af de spytproteiner, der findes i helspyt.

SPYTTETS SAMMENSÆTNING OG FUNKTIONER

Der er indtil nu identificeret over 2.500 forskellige proteiner i helspyt ved hjælp af proteomanalyser (25). De 200 mest almindelige proteiner og peptider fra de store spytkirtler omfatter sure og basiske prolinrige proteiner (PRPs), α-amylase, muciner, cystatiner, histatiner, statherin og værtsforsvarspeptider. De resterende proteiner stammer fra de små kirtler og gingivalvæske, fx α-defensiner og bestanddele fra slimhindeekssudater (26). Proteinerne har forskellige egenskaber, og en del udviser multifunktionalitet, og de fleste virker i samspil (24,27) (Tabel 1).

Spyttets bufferkapacitet

Spyt spiller en central rolle i opretholdelsen af fysiologiske pHværdier i mundhulen ved hjælp af dets bufferkapacitet og evne til at holde miljøet omkring tænderne overmættet med hensyn til calcium og fosfat. Spyttets bufferkapacitet udgøres af bikarbonat-, fosfat- og proteinbuffersystemerne, som er essentielle for at opretholde tændernes integritet (28). Bikarbonatbuffersystemet bidrager mest til spyttets samlede bufferkapacitet. Under ustimulerede forhold, hvor spyttets pH er ca. 6, er bikarbonat ansvarligt for ca. 50 % af bufferkapaciteten, mens det er ansvarligt for ca. 90 % ved stimulerede og høje spytsekretionshastigheder. Da bikarbonatindholdet og pH varierer med spytsekretionshastigheden, kan spyttets pH variere i normalområdet 6,0-7,5 (28).

Spyttets funktioner

Rensende og lubrikerende

Opretholde calciumfosfat homøostase

Bufferevne

Pellikeldannelse

Antimikrobiel

(antibakteriel, -viral og -fungal) funktion

Sårheling

Initial fordøjelse

Smagsperception

Vand, mukopolysakkarider (muciner) og glykosylerede prolinrige proteiner

Statheriner, cystatiner, histatiner, prolinrige proteiner

Bikarbonat, fosfat, spytproteiner og kulsyreanhydrase

Prolinrige proteiner, cystatiner, muciner, statheriner, histatiner og

α-amylase

• Immunglobuliner (sIgA), defensiner, peroxidaser, lysozym, laktoferrin, muciner, prolinrige proteiner, histatiner og cystatiner

• Epithelial, endothelial og nerve growth factors og secretory leukocyte protease inhibitor (SLPI)

• Vand, muciner, α-amylase og lipase

• Vand, gustin, zink, bikarbonat, basiske prolinrige proteiner

Tabel 1. Spyttets funktioner og de relaterede komponenter.

Table 1. Functions of saliva and related salivary components.

Fosfatbuffersystemet bidrager med ca. 50 % til bufferkapaciteten i ustimuleret spyt og mest effektivt ved pH omkring 6,8. Når spytsekretionshastigheden øges, falder fosfatkoncentrationen, mens bikarbonatkoncentrationen stiger markant, hvilket resulterer i et reduceret bidrag fra fosfatbuffersystemet i stimuleret spyt (28).

Proteinbuffersystemet bestående af bl.a. muciner, statheriner og prolinrige proteiner yder det største bidrag til bufferkapaciteten ved pH under 5. Proteiners bufferkapacitet afgøres af amin (NH₃)- og carboxyl (COOH)-gruppers evne til at afgive eller optage hydrogenioner, hvilket afhænger af den omgivende pH i forhold til deres isoelektriske punkt. Denne dynamiske regulering hjælper med at stabilisere udsving i pH og opretholde oral homøostase (28). Når pH falder under 5,5 også kaldet den ”kritiske pH”, kan der opstå demineralisering af tandemaljen. Den kritiske pH varierer dog, idet et overmættet miljø omkring tænderne med calciumfosfatsalte kan forhindre eller begrænse udfældningen af hydroxyapatit (29).

Oral clearance

En af spyttets vigtigste funktioner er at rense tænder og mundslimhinden. Oral clearance er udtryk for spyttets evne til at fortynde og bortskylle føderester, mikroorganismer og syrer fra mundhulen. Denne proces er afhængig af spytsekretionshastigheden og synkefrekvensen. Den orale clearance er mest effektiv ved høje spytsekretionshastigheder, hvor synkefrekvensen også er øget (30). Ved nedsat spytsekretion tager

elimineringen af føderester, mikroorganismer og syrer længere tid, hvilket øger risikoen for at udvikle caries og tanderosion. Spytsekretionshastigheden og dermed den orale clearance er også afgørende for opretholdelsen af et hydroxyapatit-overmættet miljø omkring tænderne (31). Den orale clearance forringes markant ved ustimuleret spytsekretionshastighed på ≤ 0,2 ml/min. Hos raske personer elimineres ca. 90 % af de Gram-negative bakterier fra mundhulen ved hjælp af normal spytsekretion og oral clearance, som er en tidsafhængig proces (32). Spytsekretionshastigheden spiller en central rolle for, hvor hurtigt og effektivt bakterier elimineres (32). Personer med nedsat spytsekretion som følge af medicin eller autoimmune sygdomme som Sjögrens sygdom har ofte forringet oral clearance (31). Desuden er nedsat oral clearance hos ældre ofte forbundet med en ubalance i den orale mikrobiota og lungeinfektioner (33,34).

Spytproteiner og pellikeldannelse

Flere spytproteiner indgår i dannelsen af den beskyttende film, der lægger sig på tændernes overflade og på mundslimhinden. I tandpelliklen indgår bl.a. prolinrige proteiner, statherin, histatiner, cystatiner, muciner og α-amylase. Den mukosale pellikel består primært af spytmuciner (MUC5B og MUC7), membranassocierede epitelmuciner (MUC1), sekretorisk IgA, cystatiner, α-amylase og kulsyreanhydrase IV. Muciner virker ikke blot lubrikerende, men kan også hindre mikrobiel adhæsion og invasion ved at binde mikroorganismer, der efterfølgende synkes sammen med muciner (27).

Antimikrobielle faktorer

Helspyt indeholder to hovedtyper af immunglobuliner: sekretorisk IgA og IgG. IgA dannes af plasmaceller omkring spytkirtelvævet og transporteres til spytkirtelcellerne, som danner en sekretorisk komponent, der bindes til plasma IgA. Immunglobulinet kaldes nu for sekretorisk IgA og udskilles til spyttet. Sekretorisk IgA hæmmer mikrobiel vækst og kolonisering ved agglutination (i synergi med muciner) og spiller en rolle i den mukosale immunitet. IgG stammer primært fra blodet, der kommer ind i spyttet via gingivalvæsken. Cystatin er et protein, der hæmmer bakterielle proteaser og beskytter mundslimhinden mod nedbrydning af bakterielle enzymer. Histatin er et positivt ladet peptid, som har både antibakterielle og antifungale egenskaber (24,27). Lysozym er et antibakterielt enzym, der nedbryder peptidoglykanlaget i Gram-positive bakteriers cellevæg. Det hæmmer bakterier ved agglutination og interaktion med andre antimikrobielle komponenter som laktoferrin og immunglobuliner. Peroxidaser i spyt, herunder laktoperoxidase, katalyserer iltningen af thiocyanat (SCN⁻) til hypothiocyanit (OSCN⁻), som virker bakteriostatisk ved at hæmme bakteriers stofskifteprocesser. Peroxidasesystemet i spyt spiller en afgørende rolle i opretholdelsen af en balanceret oral mikrobiota (24,27).

Vækstfaktorer i spyt

Spyt indeholder en række vækstfaktorer, herunder epidermal growth factor (EGF), vascular endothelial growth factor (VEGF) og nerve growth factor (NGF), som produceres i ductusepitelet

og udskilles til spyttet i udførselsgangen. EGF er vigtig for sårheling i munden, epitelcellernes proliferation og fornyelse af tungepapilcellerne, mens NGF er væsentlig for udviklingen af bl.a. sympatiske nerver (24,35).

SPYTTET OG DEN INITIALE FORDØJELSE

Fra de serøse acinusceller i gl. parotidea og de små lingvale spytkirtler udskilles henholdsvis α-amylase og lipase. Alfaamylase bidrager til den initiale fordøjelse ved at nedbryde stivelse til maltose i mundhulen (25). Det er aktivt ved en pH over 6 og inaktiveres i ventriklen. Lipase nedbryder triglycerider til lipider og frie fedtsyrer. Den initiale nedbrydning af stivelse og triglycerider fremmer smagsperceptionen af sødt

og fedt. Spyttet fungerer desuden som et opløsningsmiddel for smagssubstanser til mindre molekyler, der kan diffundere til smagsreceptorer i smagsløg, som hovedsagelig findes i tungepapillerne (36). Fordøjelsen af stivelse og fedt i mundhulen kan have betydning for patienter med cystisk fibrose og eksokrin pancreasinsufficiens og dermed manglende pancreasamylaseog lipaseaktivitet (37). Spyttets indhold af bikarbonat-ioner reducerer koncentrationen af frie hydrogenioner, hvilket påvirker den sure smagsperception, mens prolinrige proteiner kan påvirke den bitre smagsperception (38).

TAK

Tolga Aras takkes for hjælp for udarbejdelse af figurerne.

ABSTRACT (ENGLISH)

This article provides a brief overview of the anatomical structure of the salivary glands, the regulation of saliva secretion, and the process of saliva formation, as well as the importance of saliva in maintaining healthy oral conditions and orofacial functions. The salivary glands are divided into the major paired salivary glands; the parotid, submandibular, and sublingual glands, and the numerous minor salivary glands located submucosally in the oral mucosa. The salivary glands are composed of secretory end pieces (acini) with associated ducts. Salivary glands consisting of serous acini produce a watery secretion, whereas those made up of mucous acini produce a thick, viscous secretion. Glands containing both serous and mucous acini

LITTERATUR

1. Jensen AB, Pedersen AM, Nauntofte B. Saliva. In: Miles TS, Nauntofte B, Svensson P, eds. Clinical Oral Physiology. Copenhagen: Quintessence Publishing Co Ltd., 2004;1751.

2. Pringle S, Bikker FJ, Vogel W et al. Immunohistological profiling confirms salivary gland-like nature of the tubarial glands and suggests closest resemblance to the palatal salivary glands. Radiother Oncol 2023;187:109845.

3. Yamashina S, Tamaki H, Katsumata O. The serous demilune of rat sublingual gland is an artificial structure produced by conventional fixation. Arch Histol Cytol 1999;62:347-54.

4. Hand AR, Pathmanathan D, Field RB. Morphological features of the minor salivary glands. Arch Oral Biol 1999;44 Suppl 1:S3-10.

5. Pringle S, Van Os R, Coppes RP. Concise review: adult salivary gland stem cells and a potential therapy for xerostomia. Stem Cells 2013;31:613-9.

6. Swid MA, Li L, Drahnak EM et al. Updated salivary gland immunohistochemistry: a review. Arch Pathol Lab Med 2023;147:1383-9.

7. Jensen SB, Dynesen AW, Pedersen AML. Xerostomi og nedsat spytsekretion: demografiske aspekter og årsager. Tandlægebladet 2011;115:366-73.

produce a mixed secretion, the consistency of which depends in part on the mucin content. Saliva secretion is regulated by the autonomic nervous system via reflexes that are primarily triggered by chewing and taste perception, but also by impulses from higher brain centers. Saliva formation is initiated by the binding of neurotransmitter substances to receptors on the surface membrane of salivary gland cells. Gastrointestinal hormones can also influence saliva production. The primary saliva is formed by the acinar cells and modified in the ducts. This means that the final saliva secreted into the oral cavity is hypotonic compared to plasma. The main function of saliva is to protect the teeth and mucous membranes, but it also plays a role in the initial digestion, taste perception, chewing, formation of the food bolus, swallowing, and facilitates the ability to speak.

8. Ogawa Y. Immunocytochemistry of myoepithelial cells in the salivary glands. Prog Histochem Cytochem 2003;38:343-426.

9. Sarosiek J, Rourk RM, Piascik R et al. The effect of esophageal mechanical and chemical stimuli on salivary mucin secretion in healthy individuals. Am J Med Sci 1994;308:23-31.

10. Emmelin N. Nervous control of mammalian salivary glands. Philos Trans R Soc Lond B Biol Sci 1981;296:27-35.

11. Garrett JR, Ekstrom J, Anderson LC. Glandular mechanisms of salivary secretion. S. Karger AG 1998;226-8.

12. Matsuo R, Morimoto T, Kang Y. Neural activity of the superior salivatory nucleus in rats. Eur J Morphol 1998;36 Suppl:203-7.

13. Pedersen AM, Dissing S, Fahrenkrug J et al. Innervation pattern and Ca2+ signalling in labial salivary glands of healthy individuals and patients with primary Sjögren’s syndrome (pSS). J Oral Pathol Med 2000;29:97-109.

14. Pedersen AML, Sørensen CE, Proctor GB et al. Salivary secretion in health and disease. J Oral Rehabil 2018;45:730-46.

15. Ekström J, Asztély A, Tobin G. Parasympathetic non-adrenergic, non-cholinergic mechanisms in salivary glands and their role in

THE STRUCTURE OF THE SALIVARY GLANDS AND THE FUNCTIONS OF SALIVA

reflex secretion. Eur J Morphol 1998;36 Suppl:208-12.

16. Novak I. Cellular mechanisms of salivary gland secretion. Advanced Comparative and Environmental Physiology. Berlin, Heidelberg: Springer Berlin Heidelberg, 1993;15:1-43.

17. Proctor GB. Secretory protein synthesis and constitutive (vesicular) secretion by salivary glands. In: Garrett JR, Ekström J, Anderson LC, eds. Glandular Mechanisms of Salivary Secretion: S.Karger AG, 1998;10:73-88.

18. Aras HC, Ekström J. Cholecystokinin- and gastrin-induced protein and amylase secretion from the parotid gland of the anaesthetized rat. Regul Pept 2006;134:89-96.

19. Aras HC, Ekström J. Melatoninevoked in vivo secretion of protein and amylase from the parotid gland of the anaesthetised rat. J Pineal Res 2008;45:413-21.

20. Isola M, Ekström J, Diana M et al. Subcellular distribution of melatonin receptors in human parotid glands. J Anat 2013;223:519-24.

21. Loy F, Diana M, Isola R et al. Morphological evidence that pentagastrin regulates secretion in the human parotid gland. J Anat 2012;220:447-53.

22. Aras HC, Ekström J. Pentagastrininduced protein synthesis in the parotid gland of the anaesthetized rat, and its dependence on CCK-A and -B receptors and nitric oxide generation. Exp Physiol 2006;91:673-9.

23. Aras HC, Godoy T, Ekstrom J. Melatonin-induced protein synthesis in the rat parotid gland. J Physiol Pharmacol 2011;62:95-9.

24. Dawes C, Pedersen AML, Villa A et al. The functions of human saliva: a review sponsored by the World Workshop on Oral Medicine VI. Arch Oral Biol 2015;60:863-74.

25. Bandhakavi S, Stone MD, Onsongo G et al. A dynamic range compression and three-dimensional peptide fractionation analysis platform expands proteome coverage and the diagnostic potential of whole saliva. J Proteome Res 2009;8:5590-600.

26. Siqueira WL, Salih E, Wan DL et al. Proteome of human minor salivary gland secretion. J Dent Res 2008;87:445-50.

27. Lynge Pedersen AM, Belstrøm D. The role of natural salivary defences in maintaining a healthy oral microbiota. J Dent 2019;80 Suppl 1:S3-12.

28. Bardow A, Moe D, Nyvad B et al. The buffer capacity and buffer systems of human whole saliva measured without loss of CO2. Arch Oral Biol 2000;45:1-12.

29. Dawes C. What is the critical pH and why does a tooth dissolve in acid? J Can Dent Assoc 2003;69:722-4.

30. Lagerlöf F, Oliveby A, Ekstrand J. Physiological factors influencing salivary clearance of sugar and fluoride. J Dent Res 1987;66:430-5.

31. Bashir E, Lagerlöf F. Effect of citric acid clearance on the saturation with respect to hydroxyapatite in saliva. Caries Res 1996;30:213-7.

32. Laforce FM, Hopkins J, Trow R et al. Human oral defenses against gram-negative rods. Am Rev Respir Dis 1976;114:929-35.

33. Ayars GH, Altman LC, Fretwell MD. Effect of decreased salivation and pH on the adherence of Klebsiella species to human buccal epithelial cells. Infect Immun 1982;38:179-82.

34. Palmer LB, Albulak K, Fields S et al. Oral clearance and pathogenic oropharyngeal colonization in the elderly. Am J Respir Crit Care Med 2001;164:464-8.

35. Taichman NS, Cruchley AT, Fletcher LM et al. Vascular endothelial growth factor in normal human salivary glands and saliva: a possible role in the maintenance of mucosal homeostasis. Lab Invest 1998;78:869-75.

36. Hamosh M, Burns WA. Lipolytic activity of human lingual glands (Ebner). Lab Invest 1977;37:6038.

37. Fredrikzon B, Hernell O, Bläckberg L. Lingual lipase. Its role in lipid digestion in infants with low birthweight and/or pancreatic insufficiency. Acta Paediatr Scand Supp 1982;296:75-80.

38. Pedersen A, Sørensen CE, Proctor GB et al. Salivary functions in mastication, taste and textural perception, swallowing and initial digestion. Oral Dis 2018;24:1399-1416.

Vi har branchens gladeste tandlæger

- og vi har plads til flere!

“Tandlægen.dk fokuserer på det gode arbejdsmiljø og har fagligheden i højsædet. De er kompromiløse, når det gælder de nyeste materialer og teknologier og prioriterer muligheden for efteruddannelse højt.

Ved at være en del af tandlægen.dk følger også det privilegium, at man får mange dygtige kolleger fordelt over hele landet samt et hovedkontor, der stiller stærke faglige kompetencer til rådighed. Det er værdier, jeg finder helt unikke ved en arbejdsplads. Man skal være heldig, hvis man kan finde en arbejdsplads, der tilbyder de samme muligheder, som man får hos tandlægen.dk.

Klinikejer og tandlæge Rasmus Hviid

Bliv en del af tandlægen.dk

Hos tandlægen.dk ønsker vi at give danskerne sunde tænder, der holder hele livet – og samtidig skabe et arbejdsliv med fokus på trivsel og faglig udvikling for vores medarbejdere. Denne indsats kan mærkes, for i 2025 blev vores tandlæger målt til at være blandt branchens mest tilfredse*.

Vi søger løbende nye kolleger til vores 43 klinikker fordelt over hele landet, og hvem ved, måske er det lige netop dig, vi står og mangler?

* Medarbejdertilfredshedsscoren blandt tandlæger er i 2025 på 82 % (branchegennemsnit 80 %).

eller kontakt HR Partner Charlotte Bak på

ABSTRACT

Xerostomi er betegnelsen for den subjektive følelse af mundtørhed, der ofte opstår som følge af nedsat spytsekretion og/eller ændringer i spyttets kvalitet og sammensætning. Det er velkendt, at længerevarende og svært nedsat spytsekretion (hyposalivation) har alvorlige konsekvenser for den orale sundhed og dermed det generelle helbred. Det er derfor vigtigt at udrede patienter med vedvarende klager over xerostomi for at identificere den tilgrundliggende årsag og håndtere denne. Der er adskillige faktorer, som kan påvirke spytsekretionen. En af de hyppigste årsager til xerostomi og nedsat spytsekretion er indtagelse af lægemidler. Mange lægemidler påvirker således de centrale og perifere neurofysiologiske mekanismer, som er afgørende for igangsættelse af spytsekretionen og for spytkirtlernes funktion. Det er derfor ikke overraskende, at xerostomi er et udbredt symptom hos ældre, der typisk er i behandling med flere lægemidler. Anden sygdomsbehandling, som fx strålebehandling i hoved-hals-regionen, kan medføre direkte skade på spytkirtelvævet og permanent xerostomi og hyposalivation. Desuden kan en lang række sygdomme forårsage xerostomi og hyposalivation, bl.a. ved immunmedieret degeneration af spytkirtelvævet som ved Sjögrens sygdom. I denne artikel gennemgås forskellige årsager til xerostomi og nedsat spytsekretion, som er væsentlige at kende til i relation til beslutning om henvisning til videre udredning samt odontologisk profylakse og behandlingsplanlægning.

EMNEORD Xerostomia | hyposalivation | salivary gland diseases | medication | systemic diseases

Årsager til xerostomi og nedsat spytsekretion

ANNE MARIE LYNGE PEDERSEN, professor, tandlæge, ph.d., Sektion for Oral Biologi og Immunpatologi/Oral Medicin og Patologi, Odontologisk Institut, Det

Sundhedsvidenskabelige Fakultet, Københavns Universitet

SARAH KAMOUNAH, tandlæge, ph.d., gæsteforsker, Sektion for Oral Biologi og Immunpatologi/Oral Medicin og Patologi, Odontologisk Institut, Det Sundhedsvidenskabelige Fakultet, Københavns Universitet

HÜLYA CEVIC-ARAS, lektor, tandlæge, ph.d., Sektion for Oral Biologi og Immunpatologi/Oral Medicin og Patologi, Odontologisk Institut, Det

Sundhedsvidenskabelige Fakultet, Københavns Universitet

Accepteret til publikation den 19. maj 2025

Tandlægebladet 2025;129:822-9

SKorrespondanceansvarlig førsteforfatter:

amlp@sund.ku.dk

PYT INDEHOLDER MANGE forskellige komponenter og har fysisk-kemiske egenskaber, der spiller en central rolle i opretholdelsen af sunde orale forhold og for det generelle helbred (1-4). Mange forskellige faktorer kan påvirke såvel kvantiteten som kvaliteten af det spyt, der dannes. Ved længerevarende påvirkning ses udvikling af en række orale sygdomstilstande, der også kan have en negativ indflydelse på det generelle helbred. Xerostomi, der er betegnelsen for den subjektive følelse af mundtørhed, opstår oftest som følge af reduceret spytsekretion, og især ved en reduktion på 45-50 % af den ustimulerede helspytsekretionshastighed, og/eller ved ændringer i spyttets sammensætning (4-6). Xerostomi kan også forekomme i tilfælde, hvor der ved objektiv måling af spytsekretionshastigheden (sialometri) ikke kan konstateres nedsat spytsekretion (4,6). Dette kan skyldes, at kvaliteten af de smørende spytproteiner (muciner) er forringet, eller indholdet er reduceret (7). Betegnelsen hyposalivation anvendes, når der ved sialometri er en abnormt lav ustimuleret helspytsekretionshastighed på ≤ 0,10 ml/min og/eller tyggestimuleret helspytsekretionshastighed på ≤ 0,70 ml/min) (4,6). Hyposalivation øger risikoen for at udvikle caries, tanderosion, oral candidose, sarte og følsomme mundslimhinder og forringer sårhelingsevnen (1-4,8). Desuden kan der opstå problemer med at smage, tygge og synke maden samt vanskeligheder med at tale. Det forringer livskvalitet og kan kompromittere fødeindtagelsen og føre til vægttab, fejlernæring og/eller underernæring (2,9).

Xerostomi er et udbredt symptom, især blandt kvinder og i den ældre del af befolkningen, der ofte har multisygdom og polyfarmaci. Det estimeres, at ca. 20 % af den voksne befolkning har problemer med xerostomi (10). Prævalensen varierer dog betragteligt afhængigt af måden, der spørges på, og hvilken population der undersøges (6,10,11).

Xerostomi og hyposalivation kan opstå som følge af påvirkning af de neurofysiologiske mekanismer, der er involveret i aktivering af spytkirtlerne og spytdannelsen, herunder det autonome nervesystem, nervefibre, neurotransmittere, neuropeptider, hormoner, receptorer på spytkirtlernes overflade og overordnede centre i hjernen. Det er derfor ikke overraskende, at indtagelse af visse lægemidler er den hyppigste årsag til xerostomi og nedsat spytsekretion og/eller ændret sammensætning af spyttet (12). Polyfarmaci kan også udløse og forværre graden af xerostomi og nedsat spytsekretion (1214). Da andelen af ældre i befolkningen er stigende, forventes forekomsten af xerostomi og hyposalivation også at stige, idet ældre ofte har en eller flere behandlingskrævende kroniske sygdomme. Aldersrelaterede endokrinologiske ændringer kan også spille en rolle og bidrage til at forklare, at xerostomi er mere udbredt blandt kvinder (15). En lang række sygdomme kan påvirke spytsekretionen enten ved immunmedieret degeneration af spytkirtelvævet, som fx ved Sjögrens sygdom, eller via metaboliske ændringer, immunologisk dysregulation eller neurodegeneration (16). Desuden kan spytkirtlerne blive permanent skadet, fx ved bestråling eller midlertidigt ved andre typer behandling (17). Xerostomi er også et hyppigt symptom ved lokale mundslimhindetilstande som fx oral candidose, oral lichen planus og burning mouth syndrome (18,19).

I denne oversigtsartikel, der i det væsentligste er baseret på nyere systematiske reviewartikler, redegøres for de hyppigste årsager til nedsat xerostomi og nedsat spytsekretion. Det er vigtigt at have et indgående kendskab til disse for at kunne træffe beslutning om, hvorvidt der er grundlag for henvisning til videre udredning og behandling via egen læge, og for at kunne iværksætte den nødvendige odontologiske profylakse og behandling.

LÆGEMIDDELINDUCERET XEROSTOMI OG HYPOSALIVATION

Indtagelsen af visse lægemidler er den hyppigste årsag til xerostomi, nedsat spytsekretion og/eller ændret spytsammensætning uanset alder og køn (6,11,12,20). Det skyldes, at mange lægemidler kan påvirke de forskellige mekanismer, der igangsætter spytsekretionen og selve spytdannelsen. Nogle lægemidler (fx antipsykotika, anxiolytika og opioider) hæmmer således den centrale neuronale regulering af spytsekretionen (12). Andre lægemidler påvirker spytsekretionen perifert via interaktion med neurotransmitteres (fx acetylkolin) og neuropeptiders binding til receptorer på spytkirtelcellernes plasmamembran. Sidstnævnte kan fx være antikolinergika, der bl.a. anvendes til behandling af overaktiv urinblære. Denne type lægemidler binder sig til de muskarinerge receptorer (primært M3-, men også M1-receptorer) på spytkirtelcellernes plasmamembran og kan kompetitativt hæmme receptoraktiveringen

og dermed spytdannelsen. Nogle lægemidler, fx antihypertensiva, binder sig til α1- eller β1-adrenerge receptorer i nervesystemet og kan bl.a. påvirke proteinfosforylering og hæmme syntesen af spytproteiner, hvorved koncentrationen af totalprotein og amylaseaktiviteten mindskes (12). Betablokkere kan således medføre xerostomi uden væsentlig påvirkning af mængden af spyt, der dannes. Tricykliske antidepressiva, serotonin reuptake hæmmere og antihistaminer er eksempler på lægemidler, som påvirker spytsekretionsmekanismen både centralt og perifert. Andre lægemidler kan udløse xerostomi og nedsat spytsekretion uden at påvirke den neuronale kontrol af spytkirtlerne. Diuretika har således en indirekte effekt på spytdannelsen via påvirkning af kroppens væske- og elektrolytbalance eller en direkte effekt på elektrolyt- og vandtransportmekanismerne i spytkirtelcellerne (12). Calciumkanalblokkere kan påvirke spytsekretionen via påvirkning af de intracellulære signalveje (12). Xerostomi kan også udløses pga. lokal effekt, bl.a. ved brug af visse inhalationslægemidler (fx budesonid).

Endelig kan graden af xerostomi og nedsat spytsekretion/ ændret spytkvalitet være afhængig af medicindosis og antallet af lægemidler, der tages samtidigt (polyfarmaci) (12-14). Mange ældre har flere kroniske sygdomme samtidigt (multisygdom) og derfor ofte multimedicinerede. Polyfarmaci øger risikoen for bivirkninger og interaktioner uanset alder (18). Polyfarmaci ses dog oftere hos ældre, hvor aldersbetingede ændringer i absorption, fordeling, metabolisering og elimination af lægemidler også bidrager til at øge risikoen for udvikling af lægemiddelinducerede helbredsproblemer. Sidstnævnte kan blive fejlfortolket som sygdomssymptomer og føre til ny og unødig lægemiddelordination.

I en systematisk oversigtsartikel fra 2017 er der udarbejdet en evidensbaseret liste over, hvilke lægemidler der er forbundet med xerostomi og/eller nedsat spytsekretion (12). I oversigtsartiklen anvendes ATC-systemet (Anatomical Therapeutic Chemical Classification System), som er et internationalt anerkendt system, der klassificerer lægemidler efter deres virkemåde og indholdsstof (21). Tabel 1 viser en oversigt over lægemidler, hvor der er fundet høj grad af evidens for, at de kan udløse xerostomi og/eller nedsat spytsekretion (12). Det er vigtigt at understrege, at oversigten ikke er udtømmende, idet den kun omfatter lægemidler, der er blevet undersøgt for, om de kan medføre xerostomi og/eller nedsat spytsekretion, og som er blevet publiceret i internationale videnskabelige tidsskrifter (12). Desuden omfatter oversigten kun lægemidler med høj evidens for xerostomi og/eller nedsat spytsekretion, og artikler, der vedrører polyfarmaci, indgår ikke (12). Artiklen fandt, at der blandt de 14 lægemiddelkategorier på første niveau (dvs. organsystemniveau) var fem kategorier med evidens for at være forbundet med nedsat spytsekretion. Disse fem kategorier omfatter: 1) fordøjelse og stofskifte, 2) hjerte og kredsløb, 3) det urogenitale system og kønshormoner, 4) muskler, led og knogler og 5) nervesystemet. For følgende lægemidler var nedsat spytkirtelsekretion dokumenteret ved sialometri: alendronat, amitriptylin, atropin, bendroflumethiazid, clonidin, fluoxetin, furosemid, oxybutynin, paroxetin, propiverin, skopolamin, sertralin, solifenacin og tolterodin (Tabel 1). Antidepressiva (især de tricykliske),

Oversigt over lægemidler

Terapeutisk gruppe

Antidepressiva

Antipsykotika

Antikolinergika mod overaktiv blæresyndrom/inkontinens

Medicin til behandling af ADHD

Muskelrelaksantia

Centraltvirkende analgetika

Hypnotika

Antikolinergika til mave-tarm-problemer, herunder antiemetika

Appetitdæmpende medicin

Medicin mod glaukom

Øjendråber mod iritis og keratitis

Cancer immunterapi

Medicin til behandling af demens

Antiparkinson medicin

Medicin mod astma og KOL

Diuretika

Antiepileptika

Medicin mod osteoporose

Medicin for svedproblemer

Antihypertensiva

Generisk navn/kemisk substans

Amitriptylin, bupropion, citalopram, duloxetin, escitalopram fluoxetine, imipramine, nortriptylin, paroxetine, peboxetin, sibutramin, venlafaxine, vortioxetin, sertraline

Klorpromazin, lithium, loxapin, perphenazin, risperidon aripiprazol (2. generation), clozapin (2. generation), olanzapin (2. generation), paliperidon (2. generation)

Oxybutynin, propiverin, tolterodin, solifenacin, imidafenacin

Dexmethylphenidat, methylphenidat, lisdexamfetamin

Baclofen, cyclobenzaprin

Buprenorphin, butorphanol

Doxylamin, zolpidem

Propanthelin, atropin, skopolamin

Fentermin, tesofensin, sibutramin

Brimonidin, timolol

Skopolamin

Bevacizumab

Dimebon

Rotigotin

Tiotropium

Thiazid, bendroflumethiazid, furosemid

Gabapentin

Alendronat

Propanthelin

Verapamil, clonidin, timolol

Tabel 1. Lægemidler, som kan medføre xerostomi og/eller nedsat spytsekretion. Oversigt over lægemidler, hvor der er fundet høj grad af evidens for, at de kan udløse udtalt xerostomi og/eller spytkirtelhypofunktion (12). Oversigten inkluderer kun publicerede videnskabelige artikler, og derfor er den ikke nødvendigvis udtømmende.

Table 1. Medications which can induce xerostomia and/or salivary gland hypofunction. List of medications with high levels of evidence for having severe xerostomia and/ or salivary gland hypofunction as adverse effects (12). The list only includes papers published in scientific journals and may therefore not necessarily be complete.

antipsykotika, opioider, diuretika, antihistaminer og antikolinergika er de mest spythæmmende lægemidler. Det betyder, at xerostomi og nedsat spytsekretion er hyppigt forekommende, og især hos patienter i behandling for psykisk sygdom, kroniske smerter, hjerte-kar-sygdom og vandladningsproblemer. Disse patienter vil ofte være i livslang behandling med et eller flere af disse særligt spythæmmende lægemidler. Et nyligt systematisk review viste, at den spythæmmende og xerogene effekt primært er undersøgt for de tricykliske antidepressiva, dernæst de selektive serotonin-reuptake-hæmmere (SSRIs) og tetracykliske antidepressiva og mindst for mono-amino-oxidase (MAO)-hæmmere, noradrenalin-dopamin-hæmmere (NDIs), serotonin antagonister og -reuptake-hæmmere (22). Der er sædvanligvis en relativt tæt tidsmæssig sammenhæng mellem påbegyndt behandling med eller dosisøgning af et xerogent lægemiddel og patientens

fornemmelse af xerostomi. Lægemiddelinduceret hyposalivation er reversibel og ophører, når behandlingen seponeres (6,12). Hvis bivirkningen er dosisafhængig, ophører den, når dosis reduceres. Xerostomi antages primært at være en dosisafhængig bivirkning pga. receptor-ligand-binding.

XEROSTOMI OG NEDSAT SPYTSEKRETION VED SYSTEMISKE SYGDOMME OG SYGDOMSTILSTANDE

Tabel 2 viser en oversigt over sygdomme, der er forbundet med forskellige systemiske sygdomme og sygdomstilstande (16). I nedenstående gennemgås udvalgte eksempler.

Psykiske lidelser og adfærdsforstyrrelser

Psykiske lidelser og adfærdsforstyrrelser omfatter bl.a. lidelser forårsaget af brug af alkohol eller andre psykoaktive stoffer (fx

alkoholisme), skizofreni, paranoide psykoser, akutte og forbigående psykoser, affektive sindslidelser (fx depression), nervøse og stress-relaterede tilstande, fobiske angsttilstande, adfærdsændringer forbundne med fysiologiske forstyrrelser og fysiske faktorer (fx anoreksi), forstyrrelser og forandringer af personlighedsstruktur og adfærds- og følelsesmæssige forstyrrelser opstået i barndom eller ungdom (fx ADHD) (WHO’s klassifikationsliste over psykiske lidelser og adfærdsmæssige forstyrrelser (23)). Xerostomi og nedsat spytsekretion er hyppigt forekommende tilstande ved psykiske lidelser og især ved lidelser og adfærdsforstyrrelser, hvor angst og depression er fremherskende. Dette skyldes, at de signaler der sendes fra overordnede centre i hjernen til kerneområderne i medulla oblongata (”salivationscentret”) virker hæmmende på spytdannelsen (2,4). De fleste oplever forbigående xerostomi i situationer med stress og nervøsitet, fx eksamen. Ved psykiske lidelser er hæmningen længerevarende, og den deraf følgende hyposalivation (med mest markant effekt på den ustimulerede helspytsekretion) øger risikoen for udvikling af caries og oral candidose. Desuden behandles personer med psykiske lidelser og adfærdsforstyrrelse ofte med lægemidler, herunder antidepressiva, anxiolytika og antipsykotika, som har samme hæmmende effekt og undertiden kan påvirke både den ustimulerede og tyggestimulerede spytsekretion. Xerostomi og nedsat spytsekretion optræder også hyppigt hos personer med anoreksi og bulimi og kan ud over angst og depression skyldes dehydrering pga. opkastning, udsultning,

Oversigt over sygdomme

Terapeutisk gruppe Generisk navn/kemisk substans

Iatrogene årsager: Lægemiddelindtagelse, polyfarmaci

Strålebehandling i hoved-hals-regionen

klinisk relevans

Xerostomi og nedsat spytsekretion kan opstå som bivirkning til mange forskellige lægemidler, men også være debutmanifestationer ved en række systemiske sygdomme. Kendskab til de forskellige årsager til xerostomi og nedsat spytsekretion er afgørende for rettidig videre henvisning til udredning og behandling og iværksættelse af relevant odontologisk forebyggelse og behandling.

overdreven motion eller indtagelse af lægemidler (diuretika, laksantia og antidepressiva) (2,4,16).

Neurologiske sygdomme

Neurologiske sygdomme omfatter sygdomme i centralnervesystemet eller det perifere nervesystem. Det er sygdomme, som kan påvirke kerneområderne for spytsekretion i medulla oblongata, input fra højere centre i hjernen, nerver, neurotransmittere og -peptider samt receptorer, som er centrale for igangsættelse af spytsekretionen.

Demenssygdom er karakteriseret ved fremadskridende degeneration af hjernen, der fører til ændring af personligheden og til svækkelse af de kognitive funktioner i en sådan grad,

Kronisk GvHD (Graft versus Host Disease)

Kirurgiske traumer

Psykiske lidelser og adfærdsforstyrrelser: Angst, depression, posttraumatisk belastningsreaktion, skizofreni, spiseforstyrrelser (anorexia nervosa og bulimi), ADHD

Neurologiske sygdomme: Parkinsons sygdom, demenssygdom (Alzheimers sygdom), hjernetraumer, hjernelammelse, facial parese, autonome dysfunktioner

Inflammatoriske autoimmune gigtsygdomme: Sjögrens sygdom, reumatoid arthritis, systemisk lupus erythematosus, sklerodermi, mixed connective tissue disease

Endokrine sygdomme: Diabetes mellitus (type 1 og 2, især hvis dysreguleret), hyperthyroidisme, hypothyroidisme, Cushings syndrom, Addisons sygdom

Inflammatoriske autoimmune mave-tarm-sygdomme:

Morbus Crohn, colitis ulcerosa, cøliaki, autoimmune leversygdomme

Infektionssygdomme: Parotitis, HIV/AIDS, hepatitis C, Epstein-Barr virus, tuberkulose Genetiske sygdomme: Spytkirtelaplasi, cystisk fibrose, ektodermal dysplasi, Prader-Willi syndrom

Andre: Sarkoidose (ved spytkirtelinvolvering), burning mouth syndrome, mundånding, dehydrering, vitamin- og mineralmangeltilstande

Tabel 2. Sygdomme/tilstande, som kan være forbundet med xerostomi og nedsat spytsekretion (16).

Table 2. Diseases/conditions which can be associated with xerostomia and reduced salivary secretion (16).

at det påvirker evnen til at klare dagligdagen. Risikoen for demens stiger med alderen, og de fleste med demenssygdomme er over 60 år (24). De hyppigste demenssygdomme er neurodegenerative hjernesygdomme, herunder Alzheimers sygdom, Huntingtons sygdom og demens ved Parkinsons sygdom. Demenssygdom kan også opstå som følge af bl.a. forstyrrelse af hjernens karforsyning (vaskulær demens), stofskiftesygdom, mangeltilstande og helbredsskadeligt alkoholforbrug. Hyposalivation forekommer hyppigt og er ofte relateret til indtagelse af xerogene lægemidler (25). Der er også studier, der peger i retning af, at xerostomi, hyposalivation og forringet tandstatus kan være indikatorer for øget risiko for udvikling af demens. Vi har således tidligere vist, at hos en gruppe mænd, som over tid havde et relativt fald i den kognitive præstationsevne, også havde højere forekomst af xerostomi, hyposalivation og ringere tandstatus end gruppen af mænd, som havde uændret kognitiv præstationsevne (26).

Parkinsons sygdom er en kronisk progredierende neurodegenerativ sygdom, som skyldes tab af dopaminerge nerveceller i bl.a. hjernestammen. Sygdommen er karakteriseret ved reducerede og langsomme bevægelser, muskelstivhed og tremor samt påvirket gang og balance. Den rammer mænd 1,5 gange hyppigere end kvinder (27). Det er vist, at xerostomi og hyposalivation forekommer hos omtrent 50 % af personer med Parkinsons sygdom (28,29). Xerostomi og hyposalivation kan også være bivirkninger til den farmakologiske behandling af sygdommen (12). Omkring 30 % har problemer med savlen (sialoré), især ved mere fremskreden sygdom, og det skyldes påvirkning af synkerefleksen (30).

Sjögrens sygdom

Der er international konsensus om, at Sjögrens syndrom nu benævnes Sjögrens sygdom (31). Betegnelserne primært og sekundært Sjögrens syndrom vil efterhånden også udgå. Sjögrens sygdom (SjS) er en kronisk, systemisk autoimmun gigtsygdom, som er karakteriseret ved lymfocytær infiltration af de eksokrine kirtler. Det er især tåre- og spytkirtlerne, som rammes af en progredierende immunmedieret destruktion af kirtelvævet og deraf følgende kirteldysfunktion på øjne og symptomer på xerostomi. Ikke-eksokrine sygdomsmanifestationer er også hyppige, herunder udtalt træthed (fatigue), muskel- og ledsmerter (myalgier og artralgier) og Raynauds fænomen. SjS kan optræde i alle aldersgrupper, men diagnosticeres oftest i 40-50-årsalderen. Ni ud af 10 patienter med SjS (når den optræder alene) er kvinder, og prævalensen skønnes at være 0,5-1 %, men varierer betydeligt, afhængigt af hvilke klassifikationskriterier der er anvendt til diagnostik af sygdommen (32). Ætiologien er fortsat ukendt, men antages at være multifaktoriel og omfatte et komplekst samspil mellem det eksokrine epitel, genetiske, miljømæssige, immunologiske, neuroendokrine og kønshormonelle faktorer (32). SjS optræder hyppigt samtidigt med andre autoimmune gigtsygdomme, især reumatoid artritis og lupus erythematosus. Tidligere studier har vist, at spyttets kvantitet og kvalitet er påvirket hos patienter med SjS (for oversigt 16). Antallet af DMFT (carierede, mistede og restaurerede tænder) er højt og fundet omvendt korreleret til

spytsekretionshastigheden, især for den ustimulerede helspytsekretionshastighed (16). Patienter med SjS har ofte betydelige orale gener og en øget sygdomsforekomst i mundhulen, som kan relateres til længerevarende spytkirteldysfunktion (16). Ændringer i den orale mikrobiota i form af flere Streptococcus-, Prevotella-, Veillonella- og Neisseria-arter er også fundet associeret til selve spytkirtelhypofunktionen (33). Xerostomi er et fremtrædende symptom og fundet korreleret til en patologisk lav ustimuleret helspytsekretionshastighed på ≤ 0,10 ml/min, men også til ændringer i spyttets kvalitet, herunder spyttets viskositet (7,16). Recidiverende hævelser af de store spytkirtler optræder hos 25-66 % af patienterne, og hos børn er spytkirtelhævelser ofte et debutsymptom (16,32). Det er især gl. parotidea, som afficeres, og hævelsen kan enten være unilateral eller bilateral og eventuelt ledsaget af smerter og feber. Hævelsen skyldes ofte en benign lymfoepitelial læsion, men den kan undergå malign transformation. Patienter med SjS har således en øget risiko for at udvikle malignt B-cellelymfom, især af typen MALT (mucosa-associated lymphoid tissue) -lymfom (16). Patienter, som udvikler en massiv, fast, persisterende, unilateral hævelse af de store spytkirtler, bør derfor udredes for tilstedeværelse af lymfom. Patienter med primært SjS har ikke øget risiko for at udvikle parodontitis (34).

Tandlægen eller tandplejeren vil ofte være den første behandler, som bemærker, at patienten frembyder tegn på SjS, dvs. ”uforklaret” øget cariesaktivitet, oral candidose, tørhed af mundslimhinde og læber samt ømhed og eventuel hævelse af de store spytkirtler, og kan dermed foranledige relevant henvisning af patienten til udredning.

Andre kroniske inflammatoriske gigtsygdomme med autoimmun baggrund, herunder reumatoid artritis, systemisk lupus erythematosus, sklerodermi og mixed connective tissue disease (MCTD) har mange fællestræk, bl.a. prædilektion for at afficere spytkirtelvæv. I læbespytkirtelvæv fra patienter med reumatoid artritis er der fundet samme type forandringer med lymfocytinfiltrater som ved SjS (16). Xerostomi, nedsat spytsekretion, xerostomi og varierende grader af inflammatoriske forandringer i de små labiale spytkirtler er også hyppigt forekommende ved systemisk lupus erythematosus, sklerodermi og MCTD (16). Ved sarkoidose kan der også påvises nedsat spytsekretion, og histologisk er der fundet epitelcellegranulomer i de små læbespytkirtler og i nogle tilfælde udtalt destruktion af acinusceller i spytkirtelvævet (16). Ved morbus Crohn, der ligesom sarkoidose tilhører gruppen af granulomatøse sygdomme, er såvel xerostomi som hyposalivation hyppigt forekommende (35).

Diabetes mellitus

Diabetes mellitus (DM) er den mest udbredte endokrine sygdom. Den optræder i forskellige former med varierende grader af reduceret insulinfølsomhed, insulinsekretion og glukoseintolerance. Den hyppigste form er type 2-diabetes (T2D), som kan være en del af det såkaldte metaboliske syndrom (36), og i de seneste årtier har den været i markant vækst især i den vestlige del af verden pga. den stigende forekomst af svær overvægt. Type 1-diabetes (T1D) er karakteriseret ved manglende insulin-

produktion som følge af en autoimmun destruktion af cellerne i pancreas. T1D debuterer sædvanligvis før 25-årsalderen og har ofte et subakut forløb med øget tørst og forøget urinproduktion, vægttab og træthed. Der er aktuelt op imod 30.000 patienter med T1D i Danmark, og incidensen er stigende, især i Europa (37). Xerostomi og spytkirteldysfunktion ved diabetes kan skyldes dehydrering som følge af længerevarende hyperglykæmi, sendiabetiske komplikationer som autonom neuropati og mikroangiopati, der antages at kunne påvirke den autonome innervation og mikrocirkulation i spytkirtelvævet og/eller lokal inflammation i spytkirtelvævet (for oversigt 16).

Cariesforekomsten er høj (67 %) hos børn og unge med T1D (38). Den er højest hos børn og unge med kort sygdomsvarighed og med ringe metabolisk kontrol af deres T1D, og den øgede cariesaktivitet og -erfaring antages at være forbundet med en øget glukosekoncentration i spyttet, øget plakforekomst og ændringer i den orale mikrobiota samt nedsat spytsekretionshastighed og lavere pH i spyttet (16,39).

En nyere oversigtsartikel og metaanalyse har vist, at cariesforekomsten også er øget hos patienter med T2D, og at den er associeret til lav spytsekretion, lavt pH i spyttet og forringet bufferkapacitet (40). Det skal nævnes, at xerostomi og hyposalivation ved T2D kan skyldes den farmakologiske behandling og polyfarmaci (16).

CANCERBEHANDLING

Strålebehandling i hoved-hals-regionen

Hoved-hals-kræft er en samlet betegnelse for kræft i mundhulen, spytkirtler, svælg, strube, næse, bihule, skjoldbruskkirtlen og halsens lymfeknuder. Hovedparten af alle nydiagnosticerede patienter med maligne tumorer i hoved-hals-regionen får strålebehandling. De små og store spytkirtler vil ofte i mere eller mindre grad ligge inden for strålefeltet. De akutte bivirkninger opstår typisk i væv med hurtigt cellulært ”turnover”, dvs. hud, slimhinder og knoglemarv, men selvom det cellulære turnover er relativt langsomt i spytkirtelvæv (ca. 60 dage), så udvikler patienterne xerostomi og hyposalivation allerede inden for den første uge af behandlingen, og spytsekretionen fortsætter med at falde en til tre måneder, efter behandlingen er afsluttet (41). Strålingen forårsager direkte skade på acinuscellerne, især de serøse acinusceller, men også på nerver og blodkar i spytkirtelvævet. Graden af xerostomi og spytkirtelhypofunktion afhænger af det bestrålede spytkirtelvolumen, den samlede stråledosis, dosis/fraktion og strålebehandlingens totale varighed samt individuelle forhold. Strålebehandling af cancer i hoved-halsregionen gives som daglige fraktioner på 2 Gy (Gray = Joule/ kg) i 5-6 dage om ugen i 5-7 uger med en samlet stråledosis til tumorvævet på 60-70 Gy. En gennemsnitlig total stråledosis på over 39 Gy for gl. parotidea og gl. submandibularis fører ofte til irreversible skader på kirtelvævet med permanent xerostomi og hyposalivation til følge (41). De senere års anvendelse af intensitetsmoduleret strålebehandling (IMRT) og volumenmodulerende strålebehandling (VMAT) har bidraget til at øge behandlingens præcision og effektivitet og samtidig begrænse bestråling af omgivende normale væv, herunder de store spytkirtler. Xerostomi og hyposalivation er dog fortsat

hyppige akutte og kroniske bivirkninger til IMRT (17,41,42). IMRT med lavere stråledosis til parotiskirtlen synes at være forbundet med lavere cariesaktivitet end konventionel strålebehandling et år efter afsluttet behandling (43).

Indvendig strålebehandling med radioaktivt jod for thyroideasygdom eller kræft i gl. thyroidea kan medføre xerostomi og nedsat spytsekretion, idet radioaktivt jod optages og akkumuleres i spytkirtelvæv (44). Skaderne som følge af behandling med radioaktivt jod er dog ofte mindre udtalte end ved konventionel strålebehandling.

Forud for knoglemarvstransplantation gives kemoterapi og/ eller helkropsstrålebehandling for at mindske immunsystemets reaktion mod transplantatet. Helkropsbestråling kan gives som en enkelt, men høj stråledosis (fx 10 Gy) eller i fraktioner med lavere dosis (fx 4 Gy over 4 gange), men med højere total stråledosis. Studier har vist nedsat spytsekretion i forbindelse med denne behandling, og mere udtalt hos børn og unge, der får både kemoterapi og helkropsbestråling, end hos dem, som kun får kemoterapi inden knoglemarvstransplantationen. Spytsekretionen forbliver lav hos børn og unge, som får både kemoterapi og helkropsbestråling op til fire år efter afsluttet behandling (17,45). Desuden forbliver spytsekretionen reduceret med 50-60 % hos børn og unge, der har fået enkeltdosis helkropsbestråling, og med 10 % hos børn og unge, der har fået fraktioneret helkropsbestråling, i 1-2 år efter afsluttet behandling (46).

Graft versus host-sygdom (GvHD) er en alvorlig, men almindelig komplikation til stamcelletransplantation fra en donor (allogen knoglemarv eller perifert blod) ved behandling af leukæmi og i mindre omfang ved behandling af godartet blodsygdom. Donorcellerne kan udløse en immunologisk reaktion, idet værtsorganismen opfattes som artsfremmed. Den akutte form kan ofte behandles effektivt med immunsupprimerende medicin. Nogle patienter udvikler dog kronisk GvHD (>100 dage efter transplantationen), der i modsætning til den akutte form ofte medfører xerostomi, nedsat spytsekretion og ændret spytsammensætning (17,47). Xerostomi forekommer hyppigt under cancerkemoterapi (30-80 %) (17).

Helspytsekretionshastigheden kan også være nedsat, men normaliserer sig sædvanligvis 6-12 mdr. efter afsluttet behandling. Xerostomi er rapporteret ved behandling med doxorubicin, cyklofosfamid, fluorouracil, methotrexat og vinblastin. Xerostomi kan også forværres eller skyldes samtidig behandling med kvalmestillende og smertestillende lægemidler og/eller antidepressiva, som ofte kan være nødvendigt for at håndtere bivirkninger til kemoterapien og konsekvenser af kræftdiagnosen.

Aldring

Spytkirtler undergår en række strukturelle aldersbetingede ændringer i form af tab af acinusceller og øget forekomst af fibrose og fedtinfiltration. Tabet er mest markant i gl. submandibularis, gl. sublingualis og de små spytkirtler og mindst i gl parotidea. Forekomsten af udførselsgange er relativt øget, og flere udførselsgange fremstår dilaterede. En række generelle biologiske aldersrelaterede forandringer og aldersrelaterede sygdomstilstande kan influere på såvel strukturelle som funktionelle

ændringer i spytkirtelvævet, herunder nedsat blodcirkulation, dehydrering, faldende aktivitet af neurotransmittere, ændrede hormonniveauer, herunder fald i kønshormoner, svækket immunforsvar (immunologisk aldring), kroniske sygdomme og medicinforbrug (48). Det aldersrelaterede tab af sekretorisk væv resulterer imidlertid ikke i en tilsvarende svækkelse af spytkirtlernes funktion (2). Glandula parotidea opretholder således et uændret funktionsniveau under aldring, hvilket også forklarer, at den tyggestimulerede spytsekretion ofte er bevaret hos ældre, raske personer (49). Den ustimulerede helspytsekretion synes derimod at falde med alderen, hvilket kan tilskrives lavere sekretion fra gl. submandibularis og gl. sublingualis (49). Dette kan bidrage til at forklare den høje forekomst af xerostomi hos ældre. Gl. submandibularis, gl. sublingualis og de små spytkirtler producerer desuden smørende glykoproteiner, muciner, og der er påvist reducerede mucinniveauer i spyt hos ældre (50). Muciner, fx MUC5B, MUC7 og MUC1, er centrale komponenter i den beskyttende spytfilm på slimhindeoverfla-

den (3). Reducerede mucinniveauer og nedsat smøreevne kan bidrage til at forklare den forhøjede risiko for mundslimhindelidelser, xerostomi og spiseproblemer hos flere ældre personer.

KONKLUSION

Der er mange forskellige årsager til xerostomi og nedsat spytsekretion. I nogle tilfælde kan det være vanskeligt at afgøre, om det er en underliggende sygdom, som er årsagen til xerostomi og nedsat spytsekretion, eller det er behandlingen af allerede eksisterende sygdom, som er årsagen. Kendskab til sygdomme, lægemidler og øvrige faktorer, der kan medføre xerostomi og nedsat spytsekretion, er helt afgørende for at kunne vurdere, om der er behov for at henvise patienten til videre udredning, at kunne informere patienten om årsagssammenhænge og konsekvenserne af nedsat spytsekretion for det orale helbred, at kunne bidrage til tidlig diagnostik og behandling af spytkirteldysfunktion samt forebygge de orale konsekvenser, der kan være forbundet med nedsat spytsekretion.

ABSTRACT (ENGLISH)

CAUSES OF DRY MOUTH AND DECREASED SALIVATION Xerostomia refers to the subjective sensation of dry mouth, which often occurs due to reduced salivary secretion and/ or changes in the quality and composition of saliva. It is well known that persistent and severely reduced salivary secretion (hyposalivation) has serious consequences for oral health and thus general health. It is therefore important to examine patients with persistent complaints of dry mouth to identify the underlying cause and to manage it. Several factors can affect salivary secretion. The most frequent cause of xerostomia and reduced salivary secretion is intake of medications, and especially those affecting the central and peripheral neurophysiological mechanisms involved in the

activation of the salivary glands. It is therefore not surprising that xerostomia is a widespread symptom in the elderly, who are commonly treated with multiple medications. Other treatments, such as radiotherapy to the head and neck region, can cause direct damage to the salivary gland tissue and permanent xerostomia and hyposalivation. In addition, a wide range of diseases can cause xerostomia and hyposalivation, including Sjögren’s disease, which causes an immune-mediated degeneration of the salivary gland tissue. This article reviews various causes of xerostomia and impaired salivary secretion, which are important to be knowledgeable about in relation to decisions about referral for further investigation as well as dental prophylaxis and treatment planning.

LITTERATUR

1. Dawes C, Pedersen AML, Villa A et al. The functions of human saliva: a review sponsored by the World Workshop on Oral Medicine VI. Arch Oral Biol 2015;60:863-74.

2. Pedersen A, Sørensen CE, Proctor GB et al. Salivary functions in mastication, taste and textural perception, swallowing and initial digestion. Oral Dis 2018;24:1399-1416.

3. Pedersen AML, Belstrøm D. The role of natural salivary defences in maintaining a healthy oral microbiota. J Dent 2019;80 Suppl 1:S3-12.

4. Pedersen AML, Sørensen CE, Proctor GB et al. Salivary secretion in health and disease. J Oral Rehabil 2018;45:730-46.

5. Löfgren CD, Wickström C, Sonesson M et al. A systematic review of methods to diagnose oral dryness and salivary gland function. BMC Oral Health 2012;12:29.

6. Villa A, Wolff A, Aframian D et al. World Workshop on Oral Medicine VI: a systematic review of medication-induced salivary gland dysfunction: prevalence, diagnosis, and treatment. Clin Oral Investig 2015;19:1563-80.

7. Chaudhury NMA, Shirlaw P, Pramanik R et al. Changes in saliva rheological properties and mucin glycosylation in dry mouth. J Dent Res 2015;94:1660-7.

8. Aliko A, Wolff A, Dawes C et al. World Workshop on Oral Medicine VI: clinical implications of medication-induced salivary gland dysfunction. Oral Surg Oral Med Oral Pathol Oral Radiol 2015;120:185-206.

9. Müller F, Chebib N, Maniewicz S et al. The impact of xerostomia on food choices – a review with clinical recommendations. J Clin Med 2023;12:4592.

10. Agostini BA, Cericato GO, da Silveira ER et al. How common is dry mouth? systematic review and meta-regression analysis of prevalence estimates. Braz Dent J 2018;29:606-18.

11. Adolfsson A, Lenér F, Marklund B et al. Prevalence of dry mouth in adult patients in primary health care. Acta Odontol Scand 2022;80:605-10.

12. Wolff A, Joshi RK, Ekström J et al. A guide to medications inducing salivary gland dysfunction, xerostomia, and subjective sialorrhea: a systematic review sponsored by

the World Workshop on Oral Medicine VI. Drugs R D 2017;17:1-28.

13. Smidt D, Torpet LA, Nauntofte B et al. Associations between oral and ocular dryness, labial and whole salivary flow rates, systemic diseases and medications in a sample of older people. Community Dent Oral Epidemiol 2011;39:276-88.

14. Smidt D, Torpet LA, Nauntofte B et al. Associations between labial and whole salivary flow rates, systemic diseases and medications in a sample of older people. Community Dent Oral Epidemiol 2010;38:422-35.

15. Xu F, Laguna L, Sarkar A. Aging-related changes in quantity and quality of saliva: where do we stand in our understanding? J Texture Stud 2019;50:27-35.

16. Pedersen AML. Diseases causing oral dryness. In: Carpenter G, ed. Dry Mouth: a clinical guide on causes, effects and treatments. Berlin, Heidelberg; Springer Verlag, New York, 1st ed., 2015;7-32.

17. Mercadante V, Smith DK, AbdallaAslan R et al. A systematic review of salivary gland hypofunction and/or xerostomia induced by non-surgical cancer therapies: prevention strategies. Support Care Cancer 2025;33:87.

18. Larsen KR, Johansen JD, Reibel J et al. Oral symptoms and salivary findings in oral lichen planus, oral lichenoid lesions and stomatitis. BMC Oral Health 2017;17:103.

19. Canfora F, Calabria E, Spagnuolo G et al. Salivary complaints in burning mouth syndrome: a cross sectional study on 500 patients. J Clin Med 2023;12:5561.

20. Fortuna G, Whitmire S, Sullivan K et al. Impact of medications on salivary flow rate in patients with xerostomia: a retrospective study by the Xeromeds Consortium. Clin Oral Investig 2023;27:235-48.

21. WORLD HEALTH ORGANISATION. ATC Classification. (Set 2025 marts). Tilgængelig fra: URL: https://www.who.int/tools/ atc-ddd-toolkit/atc-classification

22. Teoh CXW, Thng M, Lau S et al. Dry mouth effects from drugs used for depression, anxiety, schizophrenia and bipolar mood disorder in adults: systematic review. BJPsych Open 2023;9:e53.

23. WORLD HEALTH ORGANISATION. International Classification of Disease, ICD-10, kapitel V. International statistical classification of diseases and related health problems 10th revision. (Set 2025 marts). Tilgængelig fra: URL: https://icd.who.int/ browse10/2016/en

24. NATIONALT VIDENCENTER FOR DEMENS. Forekomst af demens i Danmark (Set 2025 marts). Tilgængelig fra: URL: https:// videnscenterfordemens.dk/da/ forekomst-af-demens-i-danmark

25. Lexomboon D, Tan EC, Höijer J et al. The effect of xerostomic medication on oral health in persons with dementia. J Am Med Dir Assoc 2018;19:1080-5.

26. Sørensen CE, Hansen NL, Mortensen EL et al. Hyposalivation and poor dental health status are potential correlates of age-related cognitive decline in late midlife in Danish men. Front Aging Neurosci 2018;10:10.

27. Dexter DT, Jenner P. Parkinson disease: from pathology to molecular disease mechanisms. Free Radic Biol Med 2013;62:132-44.

28. Barbe AG, Heinzler A, Derman S et al. Hyposalivation and xerostomia among Parkinson’s disease patients and its impact on quality of life. Oral Dis 2017;23:464-70.

29. Baram S, Thomsen CE, Øzhayat EB et al. Orofacial function and temporomandibular disorders in Parkinson’s Disease: a case-controlled study. BMC Oral Health 2023;23:381.

30. van Wamelen DJ, Leta V, Johnson J et al. Drooling in Parkinson’s disease: prevalence and progression from the non-motor international longitudinal study. Dysphagia 2020;35:955-61.

31. Baer AN, Hammitt KM. Sjögren’s disease, not syndrome. Arthritis Rheumatol 2021;73:1347-8.

32. Brito-Zerón P, Baldini C, Bootsma H et al. Sjögren syndrome. Nat Rev Dis Primers 2016;2:16047.

33. Sembler-Møller ML, Belstrøm D, Locht H et al. Next-generation sequencing of whole saliva from patients with primary Sjögren’s syndrome and non-Sjögren’s sicca reveals comparable salivary microbiota. J Oral Microbiol 2019;11:1660566.

34. Maarse F, Jager DHJ, Alterch S et al. Sjögren’s syndrome is not a risk factor for periodontal disease: a systematic review. Clin Exp Rheumatol 2019;37 Suppl 1:225-33.

35. de Vries SAG, Tan CXW, Bouma G et al. Salivary function and oral health problems in Crohn’s Disease patients. Inflamm Bowel Dis 2018;24:1361-7.

36. AMERICAN DIABETES ASSOCIATION. Diagnosis and classification of diabetes mellitus. Diabetes Care 2013;36 Suppl 1:S67-74.

37. Patterson CC, Harjutsalo V, Rosenbauer J et al. Trends and cyclical variation in the incidence of childhood type 1 diabetes in 26 European centres in the 25 year period 1989-2013: a multicentre prospective registration study. Diabetologia 2019;62:408-17.

38. Wang Y, Xing L, Yu H et al. Prevalence of dental caries in children and adolescents with type 1 diabetes: a systematic review and meta-analysis. BMC Oral Health 2019;19:213.

39. Coelho A, Paula A, Mota M et al. Dental caries and bacterial load in saliva and dental biofilm of type 1 diabetics on continuous subcutaneous insulin infusion. J Appl Oral Sci 2018;26:e20170500.

40. Zhou G, Shu X, Long Y et al. Dental caries and salivary alterations in patients with type 2 diabetes: a systematic review and meta-analysis. J Dent 2024;150:105321.

41. Jensen SB, Pedersen AML, Vissink A et al. A systematic review of salivary gland hypofunction and xerostomia induced by cancer therapies: prevalence, severity and impact on quality of life. Support Care Cancer 2010;18:1039-60.

42. Bichsel D, Lanfranchi M, Attin T et al. Evaluation of oral prophylaxis during and after intensitymodulated radiotherapy due to head and neck cancer – a retrospective study. Clin Oral Investig 2016;20:721-6.

43. Hey J, Seidel J, Schweyen R et al. The influence of parotid gland sparing on radiation damages of dental hard tissues. Clin Oral Investig 2013;17:1619-25.

44. Sunavala-Dossabhoy G. Radioactive iodine: an unappreciated threat to salivary gland function. Oral Dis 2018;24:198-201.

45. Dahllöf G, Wondimu B, Barr-Agholme M et al. Xerostomia in children and adolescents after stem cell transplantation conditioned with total body irradiation or busulfan. Oral Oncol 2011;47:915-9.

46. Legert KG, Remberger M, Ringdèn O et al. Salivary secretion in children after fractionated or singledose TBI. Bone Marrow Transplant 2012;47:404-10.

47. Laheij AMGA, Fregnani ER, de Macedo LD et al. Oral chronic graft-versus-host disease and oral health after allogeneic hematopoietic cell transplantation – what the care team needs to know. Transplant Cell Ther 2024;30:S548-58.

48. Toan NK, Ahn SG. Aging-related metabolic dysfunction in the salivary gland: a review of the literature. Int J Mol Sci 2021;22:5835.

49. Affoo RH, Foley N, Garrick R et al. Meta-analysis of salivary flow rates in young and older adults. J Am Geriatr Soc 2015;63:2142-51.

50. Kullaa AM, Asikainen P, Herrala M et al. Microstructure of oral epithelial cells as an underlying basis for salivary mucosal pellicle. Ultrastruct Pathol 2014;38:382-6.

ABSTRACT

Xerostomi, den selvoplevede fornemmelse af mundtørhed, er ofte forbundet med reduceret spytsekretion, men kan også være til stede uden objektiv påvisning af nedsat spytsekretion. Udredning af patienter, der klager over xerostomi, bør derfor altid omfatte en grundig anamnese, en detaljeret klinisk undersøgelse samt måling af både den ustimulerede og stimulerede spytsekretionshastighed. Dette er nødvendigt for at kunne identificere potentielle årsager til den nedsatte spytsekretion og xerostomi. Kliniske tegn som tørre mundslimhinder, caries og oral candidose optræder oftest hos patienter med længerevarende nedsat spytsekretion. I nogle tilfælde kan det være nødvendigt med yderligere diagnostiske undersøgelser, herunder billeddiagnostik, spytkirtelbiopsi og blodprøver, for at afklare den bagvedliggende årsag. Den diagnostiske proces kræver ofte et tværfagligt samarbejde for at sikre en korrekt diagnose og kunne iværksætte en passende behandlingsstrategi. Tidlig intervention er essentielt for at lindre symptomer og forebygge og begrænse konsekvenserne af den nedsatte spytsekretion på det orale helbred.

EMNEORD Xerostomia | hyposalivation | salivary secretion | biopsy | salivary glands

Udredning af xerostomi og nedsat spytsekretion

SARAH KAMOUNAH, gæsteforsker, tandlæge, ph.d., Sektion for Oral Biologi og Immunpatologi/Oral Medicin & Patologi, Odontologisk Institut, Det

Sundhedsvidenskabelige Fakultet, Københavns Universitet

HÜLYA CEVIK-ARAS, lektor, tandlæge, ph.d., Sektion for Oral Biologi og Immunpatologi/Oral Medicin & Patologi, Odontologisk Institut, Det Sundhedsvidenskabelige Fakultet, Københavns Universitet

ANNE MARIE LYNGE PEDERSEN, professor, tandlæge, ph.d., Sektion for Oral Biologi og Immunpatologi/Oral Medicin & Patologi, Odontologisk Institut, Det Sundhedsvidenskabelige Fakultet, Københavns Universitet

Accepteret til publikation den 14. maj 2025

Tandlægebladet 2025;129:830-7

MUNDTØRHED OG NEDSAT spytsekretion kan optræde ved lokale sygdomme i mundhulen, men kan også være tegn på generaliseret sygdom som fx metabolisk eller autoimmun sygdom. Det er derfor vigtigt at igangsætte en grundig udredning hos patienter, der oplever vedvarende xerostomi, og som udviser tegn på nedsat spytsekretion.

Xerostomi, som er udtryk for den subjektive oplevelse af mundtørhed, opstår typisk, når den ustimulerede helspytsekretionshastighed reduceres med 40-50 % i forhold til det normale niveau (1). Xerostomi er derfor ofte forbundet med en betydelig reduktion af de store spytkirtlers evne til at danne spyt (funktionsevne), men kan også skyldes ændringer i spyttets sammensætning, herunder et lavere indhold af glykoproteiner (muciner), som er med til at befugte og beskytte mundslimhinden (2-4). Der er således ikke altid sammenhæng mellem de subjektive klager over xerostomi og den objektivt målte spytsekretion (5). Endelig er det værd at bemærke, at børn og personer med neurokognitiv svækkelse ikke altid kan give udtryk for xerostomi, om end der klinisk kan være tydelige tegn på nedsat spytsekretion.

Korrespondanceansvarlig sidsteforfatter:

En normal spytsekretion er afgørende for at opretholde oral homøostase, da spyttet udgør en central del af vores første forsvarslinje mod infektioner (6). Spyttets muciner og glykoproteiner befugter og beskytter tænder og mundslimhinde, mens dets rensende effekt, buffersystemer og salte bidrager til at be-

skytte tænderne mod caries og tandslid. Desuden indeholder spyttet en række antimikrobielle substanser, og den kontinuerlige væskestrøm bidrager til mekanisk at rense mundhulen for føderester, mikroorganismer og syrer.

Nedsat spytsekretion kan derfor føre til udtalt xerostomi, øget risiko for caries og slimhindeinfektioner, især oral candidose, sår samt ubehag og smerter i mundslimhinden. Dette kan resultere i problemer med spisning, tygning og synkning, hvilket i alvorlige tilfælde kan føre til fejlernæring, vægttab og en generelt forringet livskvalitet (6-9). Tabel 1 viser de potentielle konsekvenser af hyposalivation (6). Tidlig diagnostik er afgørende for at kunne forebygge og behandle nedsat spytsekretion samt de relaterede konsekvenser, både lokalt i mundhulen og for den generelle sundhed.

UDREDNING VED XEROSTOMI OG MISTANKE OM NEDSAT SPYTSEKRETION

Anamnese

Udredning af patienter med xerostomigener bør indledes med en detaljeret anamnese, som omfatter patientens nuværende og tidligere medicinske historik, orale sundhedsstatus samt aktuelle orale symptomer. Dette inkluderer spørgsmål om symptomernes debut, karakter, lokalisation, intensitet, samt om patienten oplever smagsforstyrrelser, sviende eller brændende

Konsekvenser af hyposalivation

Orale symptomer og manifestationer

• Xerostomi

• Tale-, tygge- og synkebesvær

• Smagsforstyrrelser (ændret/forringet smagsperception)

• Sviende og brændende fornemmelse i mundslimhinden

• Akkumulering af plak og føderester

• Øget cariesaktivitet

• Tanderosioner

• Atrofi af tungepapiller og fissurering af dorsum linguae

• Protesestomatitis

• Oral candidose

• Angulær cheilitis

• Halitose

Ekstraorale manifestationer

• Tørre og fissurerede læber

• Faryngitis, laryngitis og øsofagitis

• Refluks og halsbrand

Socioøkonomiske konsekvenser

• Påvirkede af sociale aktiviteter (fravalg af at spise med andre, at rejse, tale i telefon, dyrke sport)

• Forringet livskvalitet, depression

• Øgede udgifter til tandbehandling

Tabel 1. Konsekvenser ved længerevarende hyposalivation (6).

Table 1. Consequences of long-term hyposalivation (6).

fornemmelse i mundslimhinden. Oplysninger om patientens generelle helbredstilstand, medicinforbrug, tidligere kræftbehandling samt familiær historik som fx Sjögrens sygdom er essentielle for at forstå de underliggende årsager til xerostomien og planlægge en passende behandlingsstrategi.

Længerevarende xerostomi og spytkirteldysfunktion er ofte associeret med en række ekstraorale symptomer og kan have væsentlige sociale og økonomiske konsekvenser for patienten, hvilket også bør afdækkes (Tabel 1).

Der kan med fordel anvendes validerede og standardiserede spørgsmål og spørgeskemaer for at klarlægge sværhedsgraden af patientens xerostomigener, herunder Bother Index 1 (9)

Sværhedsgraden af mundtørhed

På en skala fra 0-10, hvor meget er du generet af din mundtørhed?

Score: 0 = Generer mig overhovedet ikke, 10 = uudholdelig

Tabel 2. Bother Index til vurdering af graden af mundtørhed (9).

Table 2. The Bother Index for assessment of the degree of dry mouth (9).

Score

Xerostomivurdering

Jeg drikker væske for bedre at kunne synke maden

Min mund føles tør, når jeg spiser et måltid

Jeg vågner om natten for at drikke væske

Min mund føles tør

Jeg har svært ved at spise tørre fødeemner

Jeg har brug for søde/sure sager eller pastiller for at lindre mundtørheden

Jeg har svært ved at synke bestemte fødeemner

Huden i mit ansigt føles tør

Mine øjne føles tørre

Mine læber føles tørre

Slimhinden i næsen føles tør

Total:

Score

XI består af en vurderingsskala med 11 spørgsmål, hvor hvert svar tildeles en score mellem 1 og 5. Score: 1 = aldrig, 2 = sjældent, 3 = noget af tiden, 4 = meste af tiden, 5 = hele tiden.

Den samlede score afspejler, hvor udtalt mundtørheden er. En score på 11 karakteriseres som ingen xerostomi, mens en score på 55 er udtryk for meget svær xerostomi (10).

The XI consists of an assessment scale with 11 questions, each rated on a scale from 1 to 5.

Score: 1 = never, 2 = seldom, 3 = sometimes, 4 = most of the time, 5 = all the time. The total score reflects the severity of dry mouth. A score of 11 indicates no xerostomia, while a score of 55 represents very severe xerostomia (10).

Tabel 3. Xerostomi Inventory (XI) vurderingsskala.

Table 3. The Xerostomia Inventory assessment scale.

(Tabel 2) og Xerostomia Inventory (Tabel 3) (11). De sidstnævnte værktøjer er blandt de mest benyttede globalt og er desuden nyttige til at monitorere sygdomsaktivitet, progression og behandlingseffekt hos patienten.

Klinisk undersøgelse

Den kliniske undersøgelse af spytkirtelfunktionen bør omfatte inspektion og palpation af de store spytkirtler samt deres udførselsgange i mundhulen. Ekstraoralt vurderes, om læberne fremstår tørre, skællende og sprukne, og om der er tegn på angulær cheilitis (Fig. 1). Intraoralt undersøges spytmængden

Læbevurdering

samt konsistensen af spyttet (fx skummende spyt), mundslimhindens hydreringstilstand og eventuelle ændringer i form, farve og konsistens.

Ved markant reduceret spytsekretion kan der ses tegn på oral candidose, som ofte manifesterer sig i form af erytematøs candidose og depapillering af tungens dorsale overflade (Fig. 2). Derudover registreres lokalisation og omfang af aktive carieslæsioner, erosioner, slid, plak og eventuel gingivitis. Carieslæsioner forekommer ofte på atypiske tandflader, dvs. cervikalt langs margo gingiva, incisalt og på kusptoppe, som normalt er mere modstandsdygtige over for udvikling af caries

Oral candidose

Vurdering af spytkirteldysfunktion

Kliniske tegn på nedsat spytsekretion Ja Nej

Mundspejlet hænger fast i kindslimhinden

Mundspejlet hænger fast i tungeoverfladen

Der ses skummende spyt

Der mangler spytsø i mundbunden

Der ses tab af tungepapiller (papilatrofi)

Gingivas overflade fremstår ændret/glat

Mundslimhinden har et glasagtigt udseende, især ganen

Tungeryggen fremstår lobuleret/furet

Aktiv eller nyligt restaureret cervikal caries

(> 2 tænder)

Der ses debris i ganen (dog undtaget under proteser)

CODS består af en 10-punkts skala, hvor hvert punkt repræsenterer et tørhedstræk i munden (12). CODS comprises 10 objective items, each scoring 1 point. Each point represents a clinical feature of oral dryness (12)

Tabel 4. Clinical Oral Dryness Score (CODS).

Table 4. The Clinical Oral Dryness Score (CODS).

Fig. 1. Tørre og sprukne læber (A) samt angulær cheilitis (B). Fig. 1. Dry and fissured lips (A) and angular cheilitis (B).
Fig. 2. Tør og fissureret tunge samt skummende spyt. Fig. 2. Dry and fissured tongue, and foamy saliva.

pga. spyttets orale clearance (Fig. 3) (2,12). Svært nedsat spytsekretion kan også aggravere tandslid og medføre tanderosion eller forværre eksisterende tanderosion. Det såkaldte Clinical Oral Dryness Score (CODS) kan anvendes til at vurdere de kliniske tegn på spytkirteldysfunktion. CODS består af 10 objektive parametre, hvor hvert parameter tildeles 1 point (Tabel 4) (13). Den samlede score afspejler graden af xerostomi og kan indikere mild (score 1-3), moderat (score 4-6) eller svær (score 7-10) grad af xerostomi.

De kliniske tegn på nedsat spytsekretion udvikles som regel først efter en længere periode med markant nedsat spytsekretion. Det forsinker ofte diagnosticering af hyposalivation og årsagen hertil. Det er vigtigt at bemærke, at øget cariesaktivitet og oral candidose, som ikke umiddelbart kan forklares med livsstilsændringer, ofte manifesterer sig før ændringer i mundslimhinden såsom depapillering, fissurering af tungens overflade og friktionskeratoser.

Sialometri

Sialometri er den mest anvendte metode til at bestemme spytkirtlernes funktion. Det er sædvanligvis den ustimulerede og tyggestimulerede helspytsekretionshastighed, der måles. Selektiv måling af spytsekretionen fra gl. parotidea og gll. submandibularis/sublingualis eller de små spytkirtler giver værdifulde informationer om de respektive spytkirtlers funktion, men er mere ressourcekrævende og teknisk vanskeligere at udføre end måling af helspytsekretionshastigheden. Selektive målinger af spytsekretionen fra specifikke spytkirtler anvendes derfor primært i forskningsmæssigt øjemed.

Både den ustimulerede og tyggestimulerede spytsekretionshastighed varierer betydeligt i løbet af dagen, og derfor er det vigtigt at standardisere tidspunktet for måling. Dette kan opnås ved kun at måle i et specifikt tidsrum fx fra 8-11 eller ved konsekvent at måle på samme tid hver gang for den samme patient. Hos raske umedicinerede personer ligger sekretionshastigheden for ustimuleret helspyt på mellem 0,3 og 0,5 ml/ min, mens den tyggestimulerede helspytsekretionshastighed

Carieslæsioner

klinisk relevans

Tandlægens rolle er central i diagnostikken af xerostomi og nedsat spytsekretion. Ofte er det tandlægen, patienten først henvender sig til med xerostomigener, og som identificerer de tidlige kliniske tegn på spytkirteldysfunktion. De hyppigste årsager til xerostomi og spytkirteldysfunktion omfatter indtagelse af visse xerogene lægemidler samt en række systemiske lidelser og i mere sjældne tilfælde lokale sygdomme i spytkirtlerne. Det er derfor afgørende, at tandlæger har indgående kendskab til de diagnostiske metoder og udredningsprocedurer, der anvendes ved mistanke om spytkirteldysfunktion. Derudover bør tandlægen indgå i et tæt, tværfagligt samarbejde med patientens egen læge samt relevante specialister for at sikre en helhedsorienteret vurdering af patientens medicinforbrug og generelle helbredstilstand.

ligger mellem 1,5 og 2,0 ml/min (12,14). Hyposalivation er betegnelsen for patologisk nedsat spytsekretion, hvor den ustimulerede spytsekretionshastighed er ≤ 0,1 ml/min, og/eller den tyggestimulerede er ≤ 0,7 ml/min (12,14).

Måling af den ustimulerede helspytsekretion

Den mest benyttede metode til vurdering af spytsekretionen er den såkaldte ”afløbsmetode”, som er enkel at udføre, og som er reproducerbar (15). Ved måling af den ustimulerede helspytsekretion skal patienten sidde med foroverbøjet hoved og lade spyttet løbe naturligt ned i et forvejet bæger over en periode på 15 minutter. Patienten må ikke spise, drikke, ryge eller have børstet tænder i to timer før spytmålingen. Målingen af den ustimulerede helspytsekretionshastighed indgår som et kriterium ved diagnostik af Sjögrens sygdom og har en diagnostisk sensitivitet og specificitet på hhv. ca. 65 % og ca. 50 % (16).

Fig. 3. Caries på cuspides og langs margo gingiva samt erosioner.
Fig. 3. Caries on the cusps and along the marginal gingiva, as well as erosions.

Oplevelse af mundtørhed

En patient henvender sig på klinikken og klager over mundtørhed

Anamnese

• Helbredsoplysninger: nuværende og tidligere sygdomme, tidligere strålebehandling, indtag af (xerogene) lægemidler, polyfarmaci, familiær historik osv.

• Orale og systemiske symptomer. Bother Index og Xerostomia Inventory kan med fordel benyttes her.

Klinisk undersøgelse

Objektive tegn på mundtørhed kan vurderes ved hjælp af Clinical Oral Dryness Score.

Måling af den ustimulerede og tygge-stimulerede helspytsekretionshastighed i henholdsvis 15 og 5 minutter. Der er tale om hyposalivation, hvis den ustimulerede helspytsekretionshastighed er ≤0,1 ml/min og/eller den tygge-stimulerede er ≤0,7 ml/min.

Måling af den tyggestimulerede helspytsekretion

Måling af den stimulerede helspytsekretionshastighed foregår over 5 min. Patienten skal tygge på et stykke paraffinvoks (neutral smag) ved sin egen normale tyggefrekvens eller på et stykke sukkerfrit tyggegummi af en vis hårdhed (gustatorisk og mastikatorisk stimulation) og med ½ minuts interval spytte ned i det forvejede bæger, eller lige inden patienten får trang til at synke (17,18). Måling af den tyggestimulerede helspytsekretion indgår ikke i diagnostik af Sjögrens sygdom, men er værdifuld information om spytkirtlernes sekretoriske kapacitet hos den enkelte patient. Denne information er væsentlig i forhold til valg af behandlingsstrategi og til monitorering af sygdomsprogressionen (19).

Måling af den tyggestimulerede helspytsekretionshastighed kan også bidrage til afklaring af den underliggende årsag til nedsat spytsekretion, idet patienter med medicininduceret nedsat spytsekretion typisk vil have en abnormt lav ustimuleret helspytsekretionshastighed, men en tyggestimuleret helspytsekretionshastighed, der ligger inden for normalområdet. Ved systemisk sygdom, fx Sjögrens sygdom og ved strålebehandling i hoved-hals-regionen med involvering af de store spytkirtler, er både den ustimulerede og tyggestimulerede spytsekretionshastighed sædvanligvis abnormt lav.

Andre parakliniske undersøgelser

Hvis anamnesen, den kliniske undersøgelse og sialometri indikerer, at patienten har en spytkirteldysfunktion, bør der foretages yderligere udredning. Det kan være specialiserede undersøgelser, som enten udføres på hospitalet eller af tandlæger med ekspertise inden for området. Hvis der er mistanke om Sjögrens sygdom, bør patienten henvises til en oftalmolog med henblik på udredning for keratoconjunctivitis sicca (”tørre øjne”) samt til en reumatolog for en generel medicinsk vurdering og serologisk udredning for autoantistoffer, herunder ANA (antinukleære) antistoffer og anti-SSA/-SSB-antistoffer.

Yderligere diagnostisk udredning ved behov, f.eks. billeddiagnostik af spytkirtlerne (ultralydsscanning osv.), spytkirtelbiopsi, test for oral candidose samt blodprøver.

Endelig diagnose stilles og en passende behandlingsstrategi iværksættes

Fig. 4. Systematisk undersøgelse af en patient med xerostomi. Fig. 4. Systematic examination of a patient with xerostomia.

Det er også vigtigt at understrege, at patienter med vedvarende xerostomi, men normal sialometri og uden tydelige kliniske tegn på nedsat spytsekretion, kan have behov for yderligere udredning. Det kan være patienter, som har generelle symptomer eller sygdomstegn, herunder udtalt træthed, led- og muskelsmerter, uforklaret intermitterende feber og andre tørhedsgener. Fig. 4 illustrerer en systematisk tilgang til vurdering af en patient, der oplever symptomer på xerostomi.

Spytkirtelbiopsi

Læbespytkirtelbiopsi udføres typisk ved mistanke om Sjögrens sygdom og sarkoidose. De histopatologiske forandringer i læbespytkirtelvævet ved Sjögrens sygdom er kendetegnet ved fokale, periduktale infiltrater af lymfocytter og enkelte plasmaceller, ofte i tæt relation til acini med normalt udseende. Omfanget af lymfocytinfiltration vurderes semikvantitativt ved hjælp af et fokus-scoringssystem. Et fokus defineres som en ansamling af mere end 50 lymfocytter pr. 4 mm² af spytkirtelvævet (20). En fokusscore på ≥ 1 anses for en markant indikator for, at patienten har Sjögrens sygdom, og kan understøtte diagnosen, selv når patienten ikke har cirkulerende

antistoffer (anti-SSA) i blodet. Desuden ses der ofte degenerative forandringer af spytkirtelvævet, herunder acinær atrofi, fibrose, duktal dilatation og infiltration af fedtvæv, hvilket sammen med vævssnittykkelsen bør tages i betragtning ved vurderingen af graden af lymfocytær infiltration (21). Undersøgelser har vist, at patienter, som er serologisk positive for anti-SSA/ -SSB-antistoffer, har ni gange større sandsynlighed for at have en fokusscore på ≥ 1 end patienter, som er serologisk negative for disse antistoffer (22). De histopatologiske forandringer ved Sjögrens sygdom kan også omfatte ektopiske kimcentre, som anses for en risikofaktor for udvikling af non-Hodgkin lymfom, og er fundet i op til 28 % af biopsier fra patienter med Sjögrens sygdom (23-25).

Det er vigtigt at understrege, at tilstedeværelse af fokale lymfocytinfiltrater ikke er specifikt for Sjögrens sygdom, men også kan ses ved andre sygdomme som fx myastenia gravis, primær biliær cirrose og type 1-diabetes (26). Der er desuden påvist fokal sialadenitis hos 7-32 % raske personer i alle aldersgrupper uden tegn på spytkirteldysfunktion (2, 27-29).

Selvom man har forsøgt at etablere standardiserede metoder til udtagning og vurdering af lymfocytære foci, er der stadig ingen konsensus om, hvor stort et samlet vævsareal der kræves, herunder det optimale antal og den ideelle størrelse af spytkirtler, for at opnå en præcis og pålidelig histopatologisk vurdering. Tidligere anbefalinger foreslår, at der bør udtages minimum fire spytkirtler med et samlet kirtelvævsareal på mindst 8 mm² (22,30).

Biopsi af gl. parotidea indgår ikke i de diagnostiske klassifikationskriterier for Sjögrens sygdom, da der er øget risiko for beskadigelse af n. facialis, spytcyste og fisteldannelse. Der kan dog være indikation for biopsi af gl. parotidea ved persisterende hævelse af de store spytkirtler eller mistanke om lymfom. De histopatologiske forandringer i gl. parotidea ved Sjögrens sygdom er karakteriseret ved fokal lymfocytær infiltration, som i nogle tilfælde kan udvikle sig til en benign lymfoepitelial læsion, dvs. proliferation af lymfoidt væv i kirtlen samt periduktal infiltration af lymfocytter (31). Denne kan gradvist erstatte det normale spytkirtelvæv og resultere i en klinisk synlig hævelse af spytkirtlen. I nogle tilfælde er der kun øer af metaplastisk og/ eller hyperplastisk duktusepitel tilbage, hvilket ofte fejlagtigt betegnes som epimyoepiteliale øer (32). Disse øer observeres sjældent i de små spytkirtler.

Ultralydsscanning

Ultralydsscanning spiller en central rolle i diagnostik af spytkirtelsygdomme, da det er en ikkeinvasiv, hurtig og præcis metode til at identificere en række patologiske tilstande og den anvendes derfor i stigende grad i forbindelse med udredning af en række sygdomme, herunder Sjögrens sygdom (33). Ultralydsscanning anvendes bredt til visualisering af strukturelle forandringer, herunder obstruktioner som sialolithiasis, neoplastiske forandringer i spytkirtlerne, og er også blevet et værdifuldt værktøj i udredning af inflammatoriske tilstande i spytkirtlerne (33,34). Derudover anvendes metoden til at identificere spytkirteltumorer og udtage ultralydsvejledt finnålsaspirat til cytologisk analyse (35).

Serologisk undersøgelse

Patienten bør henvises til egen læge eller en relevant speciallæge med henblik på blodprøver, hvis der er mistanke om en underliggende systemisk sygdom eller sygdomstilstande, fx vitamin- og mineralmangeltilstande, infektioner eller autoimmune gigtsygdomme. ANA, anti-SSA/Ro, anti-SSB/La og reumafaktor (RF) udgør centrale serologiske biomarkører ved mistanke om Sjögrens sygdom, men de kan også forekomme ved andre autoimmune gigtsygdomme (36,37). Det er desuden kun påvisning af anti-SSA-antistoffer, der indgår i de seneste klassifikationskriterier for Sjögrens sygdom. Antistoffer mod Ro/SSA-antigener findes hos ca. 40-75 % af patienterne, og antistoffer mod La/SSB-antigener hos ca. 35 % (38). Patienter med serumautoantistoffer har ofte mere udtalt lymfocytær infiltration i læbespytkirtelvævet, flere kliniske manifestationer, herunder mere udtalt øjentørhed og xerostomi, systemiske komplikationer og ekstraglandulær involvering end seronegative patienter (2,39).

Analyser i spyt

I de senere år er interessen for spyt som diagnostisk værktøj steget markant. Dette skyldes blandt andet, at spyttets sammensætning i visse tilfælde kan afspejle blodets, samtidig med at opsamling af spyt er noninvasivt og med minimal risiko for infektion. I klinisk praksis anvendes spyt allerede til at måle hormonniveauer som kortisol, progesteron og insulin som supplement til undersøgelser af endokrinologiske funktioner (4043). HIV-antistoffer er desuden en velkendt biomarkør inden for spytbaseret diagnostik (44). Der er også blevet påvist cirkulerende tumorceller (CTC) og fragmenter af tumor-DNA i spyt, hvilket potentielt kan bidrage til tidlig og noninvasiv diagnostik af visse kræftformer (45).

Tidligere studier har vist, at patienter med Sjögrens sygdom (den primære form) har forhøjede niveauer af natrium og klorid, men lavere koncentration af fosfat i helspyt, parotisspyt og spyt opsamlet fra gll. submandibularis og sublingualis på trods af lav sekretionshastighed (46,47). Det tyder på en nedsat evne hos de duktale celler til at reabsorbere salte, mens de tilbageværende acinusceller ser ud til at fungere normalt. Koncentrationerne af kalium, totalt calcium, totalt protein og amylaseaktivitet i hel- og parotisspyt samt niveauerne af prolinrige proteiner og statherin i stimuleret parotisspyt adskiller sig ikke væsentligt fra niveauerne i spyt fra raske kontrolpersoner. Disse fund tyder på, at acinuscellerne fortsat kan producere og udskille spyt med normal sammensætning, selv ved tilstedeværelse af lymfocytær infiltration og strukturelle ændringer i spytkirtlerne (47).

Nyere studier inden for spytbaseret diagnostik har desuden påvist tilstedeværelse af anti-SSA i spyt hos patienter med primær Sjögrens sygdom. Det er værd at bemærke, at disse antistoffer også blev påvist hos patienter med Sjögrens sygdom, som var serologisk negative, og hos patienter med symptomer på Sjögrens sygdom, men som ikke opfyldte kriterierne for diagnosen. Disse fund tyder på, at der er lokal produktion af antistofferne i spytkirtlerne, og at spytbaserede anti-SSA/Ro antistoffer potentielt kan tjene som biomarkører til at identificere tidlige stadier af Sjögrens sygdom (48,49).

KONKLUSION

Udredning af xerostomi og nedsat spytsekretion kan indledes i almen praksis, hvor den kliniske vurdering og en grundlæggende anamnese kan give en indikation for den underliggende årsag. Flere af de specialiserede undersøgelser, såsom billeddiagnostik og biopsi, kræver dog specialistkompetencer og særligt udstyr, som ikke nødvendigvis er tilgængelige

i tandlægepraksis. Derfor forudsætter disse undersøgelser ofte henvisning til en tandlæge med ekspertise på området. Det er også væsentligt at understrege behovet for yderligere forskning på området. Fremtidig forskning er afgørende for at optimere diagnostiske metoder og behandlingsmuligheder samt for at få en bedre forståelse af de underliggende årsager til nedsat spytsekretion.

ABSTRACT (ENGLISH)

DIAGNOSIS OF XEROSTOMIA AND REDUCED SALIVARY SECRETION

Xerostomia, the subjective sensation of dry mouth, is often associated with reduced salivary secretion, but may also occur without objective signs of decreased salivary flow rate. Therefore, the evaluation of patients with complaints of dry mouth should always include a thorough medical history, a detailed clinical examination, and measurement of both unstimulated and stimulated salivary flow rates. This is necessary to identify potential causes of reduced salivary secretion and

LITTERATUR

1. Dawes C. Physiological factors affecting salivary flow rate, oral sugar clearance, and the sensation of dry mouth in man. J Dent Res 1987;66 Spec No:648-53.

2. Pedersen AM, Reibel J, Nauntofte B. Primary Sjögren’s syndrome (pSS): subjective symptoms and salivary findings. J Oral Pathol Med 1999;28:303-11.

3. Pedersen AM, Nauntofte B. Primary Sjögren’s syndrome: oral aspects on pathogenesis, diagnostic criteria, clinical features and approaches for therapy. Expert Opin Pharmacother 2001;2:1415-36.

4. Rereddy SK, Cao AC, Blackwell B et al. Rheology of saliva in health and disease. Biorheology 2023;59:19-27.

5. Löfgren CD, Isberg PE, Christersson C. Screening for oral dryness in relation to salivary flow rate addresses the need for functional tests of saliva. Oral Health Prev Dent 2010;8:243-52.

6. P6. 6. Pedersen A, Sørensen CE, Proctor GB et al. Salivary functions in mastication, taste and textutextural perception, swallowing and initial digestion. Oral Dis 2018;24:1399-416.

7. Pedersen AML, Belstrøm D. The role of natural salivary defences in maintaining a healthy oral microbiota. J Dent 2019;80 (Supp) 1:S3-12.

8. Rusthen S, Young A, Herlofson BB et al. Oral disorders, saliva secretion, and oral health-related quality of life in patients with primary Sjögren’s syndrome. Eur J Oral Sci 2017;125:265-71.

9. Muñoz-González C, Vandenberghe-Descamps M, Feron G et al. Association between salivary hypofunction and food consumption in the elderlies. A systematic literature review. J Nutr Health Aging 2018;22:407-19.

10. Challacombe SJ, Osailan SM, Proctor GB. Clinical scoring scales for assessment of dry mouth. In: Challacombe SJ, Osailan SM, eds. Dry Mouth. Berlin, Heidelberg: Springer Berlin Heidelberg, 2015;119-32.

11. Thomson WM, van der Putten GJ, de Baat C et al. Shortening the xerostomia inventory. Oral Surg Oral Med Oral Pathol Oral Radiol Endod 2011;112:322-7.

12. Pedersen AM, Bardow A, Jensen SB et al. Saliva and gastrointestinal functions of taste, mastication,

xerostomia. Clinical signs such as dry oral mucosa, caries, and oral candidiasis most commonly appear in patients with longterm reduced saliva production. In some cases, further diagnostic tests, including imaging, salivary gland biopsy and blood tests, may be required to determine the underlying cause. The diagnostic process often demands an interdisciplinary team to ensure an accurate diagnosis and to implement an appropriate treatment strategy. Early intervention is essential to alleviate symptoms and to prevent and minimize the consequences of reduced salivary secretion on oral health.

swallowing and digestion. Oral Dis 2002;8:117-29.

13. Osailan SM, Pramanik R, Shirlaw P et al. Clinical assessment of oral dryness: development of a scoring system related to salivary flow and mucosal wetness. Oral Surg Oral Med Oral Pathol Oral Radiol 2012;114:597-603.

14. Humphrey SP, Williamson RT. A review of saliva: normal composition, flow, and function. J Prosthet Dent 2001;85:162-9.

15. Navazesh M, Christensen CM. A comparison of whole mouth resting and stimulated salivary measurement procedures. J Dent Res 1982;61:1158-62.

16. Shiboski SC, Shiboski CH, Criswell LA et al. American College of Rheumatology classification criteria for Sjögren’s syndrome: a data‐driven, expert consensus approach in the Sjögren’s International Collaborative Clinical Alliance cohort. Arthritis Care Res (Hoboken) 2012;64:475-87.

17. Navazesh M. Methods for collecting saliva. Ann N Y Acad Sci. 1993;694:72-7.

18. Navazesh M, Kumar SKS. Measuring salivary flow: challenges and

opportunities. J Am Dent Assoc 2008;139 (Supp):35S-40.

19. Ramos-Casals M, Brito-Zerón P, Bombardieri S et al. EULAR recommendations for the management of Sjögren’s syndrome with topical and systemic therapies. Ann Rheum Dis 2020;79:3-18.

20. Daniels TE. Labial salivary gland biopsy in Sjögren’s syndrome. Assessment as a diagnostic criterion in 362 suspected cases. Arthritis Rheum 1984;27:147-56.

21. Bredahl SK, Reibel J, Pedersen AML. Value of multilevel sectioning of labial salivary gland biopsies in the diagnosis of Sjögren’s syndrome. Oral Surg Oral Med Oral Pathol Oral Radiol 2021;131:8591.

22. Daniels TE, Cox D, Shiboski CH et al. Associations between salivary gland histopathologic diagnoses and phenotypic features of Sjögren’s syndrome among 1,726 registry participants. Arthritis Rheum 2011;63:2021-30.

23. Jonsson MV, Skarstein K, Jonsson R et al. Serological implications of germinal center-like structures in primary Sjögren’s syndrome. J Rheumatol 2007;34:2044-9.

24. Jonsson MV, Theander E, Jonsson R. Predictors for the development of non-Hodgkin lymphoma in primary Sjögren’s syndrome. Presse Med 2012;41:e511-6.

25. Bharaj TK, Aqrawi LA, Fromreide S et al. Inflammatory stratification in primary Sjögren’s syndrome reveals novel immune cell alterations in patients’ minor salivary glands. Front Immunol 2021;12:701581.

26. Pedersen A, Nauntofte B. The salivary component of primary Sjögren’s syndrome: diagnosis, clinical features and management. In: Columbus F, ed. New York: Nova Science Publishers, Inc; 2005.

27. Syrjänen S. Age-related changes in structure of labial minor salivary glands. Age Ageing 1984;13:15965.

28. Vered M, Buchner A, Haimovici E et al. Focal lymphocytic infiltration in aging human palatal salivary glands: a comparative study with labial salivary glands. J Oral Pathol Med 2001;30:7-11.

29. Radfar L, Kleiner DE, Fox PC et al. Prevalence and clinical significance of lymphocytic foci in minor salivary glands of healthy volunteers. Arthritis Rheum 2002;47:520-4.

30. Fisher BA, Jonsson R, Daniels T et al. Standardisation of labial salivary gland histopathology in

clinical trials in primary Sjögren’s syndrome. Ann Rheum Dis 2017;76:1161-8.

31. Batsakis JG. Lymphoepithelial lesion and Sjögren’s syndrome. Ann Otol Rhinol Laryngol 1987;96(3 Pt 1):354-5.

32. Ihrler S, Zietz C, Sendelhofert A et al. Lymphoepithelial duct lesions in Sjögren-type sialadenitis. Virchows Arch 1999;434:315-23.

33. Koch M, Sievert M, Iro H et al. Ultrasound in inflammatory and obstructive salivary gland diseases: own experiences and a review of the literature. J Clin Med 2021;10:3547.

34. Bhatia KSS, Dai YL. Routine and advanced ultrasound of major salivary glands. Neuroimaging Clin N Am 2018;28:273-93.

35. Cho HW, Kim J, Choi J et al. Sonographically guided fine-needle aspiration biopsy of major salivary gland masses: a review of 245 cases. AJR Am J Roentgenol 2011;196:1160-3.

36. Veenbergen S, Kozmar A, van Daele PLA et al. Autoantibodies in Sjögren’s syndrome and its classification criteria. J Transl Autoimmun 2021;5:100138.

37. Vílchez-Oya F, Martin HB, García-Martínez E et al. Not all autoantibodies are clinically relevant. Classic and novel autoantibodies in Sjögren’s syndrome:

a critical review. Front Immunol 2022;13:1003054.

38. Müller K, Manthorpe R, Permin H et al. Circulating IgM rheumatoid factors in patients with primary Sjögren’s syndrome. Scand J Rheumatol 1988;75 (Supp):2658.

39. Hernández-Molina G, Leal-Alegre G, Michel-Peregrina M. The meaning of anti-Ro and anti-La antibodies in primary Sjögren’s syndrome. Autoimmun Rev 2011;10:123-5.

40. Marchetti P, Benzi L, Masoni A et al. Salivary insulin concentrations in type 2 (non-insulin-dependent) diabetic patients and obese nondiabetic subjects: relationship to changes in plasma insulin levels after an oral glucose load. Diabetologia 1986;29:695-8.

41. Lu YC, Chatterton RT Jr, Vogelsong KM et al. Direct radioimmunoassay of progesterone in saliva. J Immunoassay 1997;18:149-63.

42. Smyth J, Ockenfels MC, Porter L et al. Stressors and mood measured on a momentary basis are associated with salivary cortisol secretion. Psychoneuroendocrinology 1998;23:353-70.

43. Ng V, Koh D, Mok BYY et al. Salivary biomarkers associated with academic assessment stress among dental undergraduates. J Dent Educ 2003;67:1091-4.

44. Vohra P, Belkhode V, Nimonkar S et al. Evaluation and diagnostic usefulness of saliva for detection of HIV antibodies: a cross-sectional study. J Family Med Prim Care 2020;9:2437-41.

45. Kaczor-Urbanowicz KE, CarrerasPresas CM, Aro K et al. Saliva diagnostics – current views and directions. Exp Biol Med (Maywood) 2017;242:459-72.

46. Kalk WWI, Vissink A, Stegenga B et al. Sialometry and sialochemistry: a non-invasive approach for diagnosing Sjögren’s syndrome. Ann Rheum Dis 2002;61:137-44.

47. Pedersen AML, Bardow A, Nauntofte B. Salivary changes and dental caries as potential oral markers of autoimmune salivary gland dysfunction in primary Sjögren’s syndrome. BMC Clin Pathol 2005;5:4.

48. Kamounah S, Tayob N, Chiang S et al. Immunoassay detects salivary anti-SSA/Ro-52 autoantibodies in seronegative patients with primary Sjögren’s syndrome. Immunohorizons 2023;7:554-61.

49. Kamounah S, Wei F, Park JK et al. Seronegative patients with primary Sjögren’s syndrome and non-pSS sicca test positive for anti-SSA/Ro52 and -Ro60 in saliva. Biochim Biophys Acta Mol Basis Dis 2024;1870:167168.

ABSTRACT

Det er indlysende, at afklaring af årsagen til xerostomi og nedsat spytsekretion er centralt for valg af behandlingsstrategi. Det kan dog undertiden være vanskeligt at identificere en specifik årsag, idet spytkirteldysfunktion kan skyldes et komplekst samspil af flere faktorer, herunder multisygdom og polyfarmaci. Desuden kan det i mange tilfælde være vanskeligt eller umuligt at ændre på årsagen, fx ved strålebehandlingsinduceret spytkirteldysfunktion. Uanset de tilgrundliggende årsager er det dog helt afgørende at tilrettelægge en behandlingsstrategi, der er tilpasset den enkelte patient, og som omfatter tiltag, der kan bidrage til at lindre patientens xerostomigener, øge den resterende spytsekretion og ikke mindst forebygge og begrænse konsekvenserne af nedsat spytsekretion og fremme patientens livskvalitet. Denne oversigtsartikel gennemgår de behandlingstiltag, der bør iværksættes hos patienter med xerostomi og/eller nedsat spytsekretion, baseret på årsag og sværhedsgrad. Desuden gennemgås potentielle fremtidige behandlingsmuligheder, som har til formål at genoprette funktionen af beskadiget spytkirtelvæv, herunder biologiske lægemidler, genterapi og stamcellebehandling. Endelig beskrives de specifikke grupper af patienter med hyposalivation, der har mulighed for at søge om tilskud til forebyggende og behandlende tandpleje via sundhedslovens § 166.

EMNEORD Salivary gland dysfunction | xerostomia | hyposalivation| therapy

Aktuelle og potentielle fremtidige behandlingsmuligheder ved xerostomi og nedsat spytsekretion

ANNE MARIE LYNGE PEDERSEN, professor, tandlæge, ph.d., Sektion for Oral Biologi og Immunpatologi/Oral Medicin og Patologi, Odontologisk Institut, Det Sundhedsvidenskabelige Fakultet, Københavns Universitet

SARAH KAMOUNAH, tandlæge, ph.d., gæsteforsker, Sektion for Oral Biologi og Immunpatologi/Oral Medicin og Patologi, Odontologisk Institut, Det Sundhedsvidenskabelige Fakultet, Københavns Universitet

HÜLYA CEVIK-ARAS, lektor, tandlæge, ph.d., Sektion for Oral Biologi og Immunpatologi/Oral Medicin og Patologi, Odontologisk Institut, Det Sundhedsvidenskabelige Fakultet, Københavns Universitet

Accepteret til publikation den 10. juni 2025

Tandlægebladet 2025;129:838-45

BKorrespondanceansvarlig førsteforfatter:

EHANDLINGEN AF XEROSTOMI OG NEDSAT SPYTSEKRETION har til formål at genoprette befugtningen af tænder og mundslimhinden ved at stimulere resterende funktionelt spytkirtelvæv og ved direkte at tilføre den manglende fugt til mundslimhinden. Desuden er det helt centralt at forebygge og behandle de orale komplikationer, herunder caries, oral candidose, erosion og tandslid, der kan opstå som konsekvens af længerevarende nedsat spytsekretion (1-3). I nogle tilfælde optræder xerostomi, uden at der objektivt er påvist nedsat spytsekretion, og ændringer i spyttets sammensætning kan være årsagen til den oplevede xerostomi (1). Den behandlingsstrategi, der iværksættes, skal være tilpasset den enkelte patient, årsagen (hvis kendt) til og sværhedsgraden af patientens xerostomi og/eller nedsatte spytsekretion, det øvrige sygdomsbillede (komorbiditeter, multisygdom, polyfarmaci), patientens ressourcer og evne til at håndtere og efterleve anbefalinger og behandling. I relation til sidstnævnte er det afgørende, at patienten informeres om årsager til xerostomi og nedsat spytsekretion og de deraf afledte konsekvenser for det orale og generelle helbred og motiveres til selv at tage aktiv

del i forebyggelse og behandling. I nogle tilfælde kan der være grundlag for at henvise patienten til behandling i hospitalsregi. I denne oversigtsartikel gennemgås behandlingstiltag, der kan iværksættes ved xerostomi og nedsat spytsekretion for at lindre symptomerne og begrænse følgevirkningerne af længerevarende nedsat spytsekretion. Desuden beskrives de forskellige patientgrupper, som har tandproblemer som følge af hyposalivation, der kan søge om tilskud til forebyggende og behandlende tandpleje via sundhedslovens § 166.

METODE

Artiklen er et narrativt review med inklusion af nyeste artikler inden for emnet. Der er foretaget søgning i den elektroniske artikeldatabase PubMed med følgende ord (MeSH-terms) enkeltvis eller i kombination: xerostomia, hyposalivation, salivary gland dysfunction, therapeutics, caries, oral candidiasis.

OVERORDNEDE TILTAG VED XEROSTOMI OG NEDSAT SPYTSEKRETION

Information, rådgivning og motivation

Det er vigtigt, at patienten informeres om sammenhængen mellem nedsat spytsekretion og risikoen for at udvikle sygdomme i mundhulen. Hvis årsagen til xerostomi og nedsat spytsekretion er kendt, informeres patienten om denne, og på hvilken måde det påvirker spytkirtelfunktionen. Patienten rådgives om at begrænse indtagelse af kaffe, te og alkohol samt tobaksrygning, da det kan forværre følelsen af xerostomi. Patienten anbefales at holde sig velhydreret og drikke ca. to liter væske (gerne vand) i døgnet. Lav luftfugtighed i boligen og på arbejdspladsen kan også forværre tørhedsgener i såvel mund, næse som øjne. Installering af en luftbefugter for at undgå unødig udtørring af slimhinder kan derfor være en god løsning for mange patienter.

Ved længerevarende nedsat spytsekretion er spyttets evne til at fortynde, neutralisere og eliminere syre, sukker og mikroorganismer forringet, og derfor bør indtagelse af sukker- og syreholdige fødeemner og drikke begrænses. Til gengæld kan det anbefales at indtage sprøde og vandholdige grøntsager. Frugt kan også anbefales, men patienten skal gøres opmærksom på visse frugters erosive potentiale.

Patienter med udtalt xerostomi og hyposalivation, fx som følge af strålebehandling af cancer i hoved-hals-regionen, kan have problemer med at danne en fødebolus og synke maden. Det kan føre til fejlsynkning. Nogle patienter har i det hele taget vanskeligt ved at spise pga. tørre og smertende slimhinder og synkebesvær. Det kan føre til nedsat fødeindtagelse, vægttab, underernæring og/eller fejlernæring, hvilket forværrer tilstanden med xerostomi og hyposalivation yderligere. Det kan være nødvendigt at henvise disse patienter til en diætist via egen læge for at sikre et tilstrækkeligt energi- og proteinindtag. Patienter i (og efter) cancerbehandling har ofte behov for fokuseret vejledning i forhold til mundpleje og kost- og ernæringsindtag (4).

Mange patienter med xerostomi og nedsat spytsekretion har et livslangt behov for ekstra forebyggende tiltag. Det kan skyldes, at årsagen til spytkirteldysfunktionen ikke kan elimineres, fx ved nødvendig livslang medikamentel behandling uden mulighed for substitution/seponering eller permanent degene-

ration af spytkirtelvævet forårsaget af Sjögrens sygdom eller strålebehandling.

Patienten skal derfor informeres om, at hyppig regelmæssig kontrol hos tandlæge eller tandplejer er nødvendigt. For patienter med svær hyposalivation kan indkaldeintervaller således være hver 3.-4. måned. Patienten skal informeres om betydningen af effektiv fjernelse af madrester, bakteriel plak og tandsten samt instrueres i grundig tandbørstning med fluoridtandpasta morgen og aften og evt. efter måltider. Ved behov gives reinstruktion, og indkaldelse til professionel tandrensning hos tandplejer eller tandlæge kan intensiveres.

Restaurerende tandbehandling og oral rehabilitering Hos patienter med nedsat spytsekretion er det vigtigt at opretholde et funktionelt tandsæt for at sikre den fortsatte indtagelse af føde af fast konsistens og stimulation af spytsekretionen ved tygning (1).

Hos patienter med mange aktive carieslæsioner foretages ekskavering og temporær fyldningsterapi, sideløbende med at cariesaktiviteten bringes under kontrol. Når det er tilfældet, foretages permanent fyldningsterapi og evt. krone- og brobehandling. Et longitudinelt studie har vist, at tandrestaureringer, og især plastfyldninger, frakturerer og mistes hurtigere hos patienter med hyposalivation som følge af strålebehandling af hoved-hals-cancer og Sjögrens sygdom end hos patienter, der ikke har hyposalivation, hvorimod der ikke blev fundet forskelle i holdbarheden af fast protetik i form af kroner og broer (5).

Patienter med helproteser har ofte orale gener i form af besværet tale- og tyggefunktion, brændende fornemmelse i mundslimhinden, øget tendens til at udvikle oral candidose og tryksår pga. forringet proteseretention (6). Patienter med helproteser bør derfor også gå til regelmæssig kontrol.

Hos patienter med Sjögrens sygdom er implantatbehandling til erstatning for mistede tænder et hensigtsmæssigt alternativ til hel- og delprotesebehandling, og succesraten er høj for såvel enkelttandsimplantater som for implantater til at understøtte overkæbeproteser (7,8).

Ændring af lægemiddelindtagelse Xerostomi og/eller nedsat spytsekretion er hyppige bivirkninger til indtagelse af lægemidler, og det er reversible bivirkninger (9). Mange lægemidler har således en antikolinerg virkning, hvilket hæmmer spytsekretionen (9). Hvis den nedsatte spytsekretion er lægemiddelinduceret, vil henvisning til patientens læge ofte være relevant med henblik på vurdering af muligheder for pausering, dosisreduktion, substitution eller seponering af lægemidlet. Det er vigtigt, at patientens læge forsynes med en beskrivelse af den aktuelle problemstilling, herunder hvilket lægemiddel (eller lægemidler) der antages at have udløst bivirkninger i form af xerostomi og/eller nedsat spytsekretion. Det kan også dreje sig om polyfarmaci, som fordrer en struktureret og kritisk gennemgang af patientens samlede lægemiddelbehandling hos egen læge med henblik på vurdering af lægemidler, der eventuelt kan seponeres. Ændringer kan også omfatte dosisreduktion, ændret fraktionering af doser og tidspunkt for lægemiddelindtagelse.

STRATEGIER FOR BEHANDLING AF XEROSTOMI OG

NEDSAT SPYTSEKRETION

Stimulation af spytsekretionen

Måling af den tyggestimulerede helspytsekretionshastighed kan anvendes til at vurdere, om patienten har resterende funktionelt spytkirtelvæv. Hvis dette er tilfældet, er der mulighed for at øge spytmængden ved lokal stimulation og aktivering af spytsekretionsrefleksen. Det kan være ved smagsstimulation (gustatorisk) med aktivering af smagsreceptorceller i smagsløg på tungen og i de ekstralingvale smagsløg eller ved tygning (mastikatorisk) med aktivering af mekanoreceptorer i tændernes parodontalligament og i mundslimhinden (Tabel 1) (1). Alle former for smagsmodaliteter (sødt, salt, surt, bittert og umami) bidrager til stimulation af spytsekretionen, men den syrlige smag giver den mest effektive stimulation (1). Dog bør anvendelse af syreholdige pastiller, sugetabletter og tyggegummi begrænses pga. den øgede risiko for tanderosion ved længerevarende nedsat spytsekretion.

Spytsekretionen kan også stimuleres farmakologisk ved hjælp af pilokarpin (Salagen®). Pilokarpin har samme effekt som acetylkolin og binder sig uspecifikt til alle muskarine kolinerge receptorer. Det er vist, at en peroral systemisk behandling på 5 mg 3-4 gange dagligt kan mindske xerostomigener hos patienter med Sjögrens sygdom og hos patienter, som har været i strålebehandling for hoved-hals-cancer (10). Pilokarpin har dog primært effekt på spytsekretionen hos patienter, som har resterende funktionelt spytkirtelvæv (for oversigt 11-14). Salagen® er ikke markedsført i Danmark, og Lægemiddelstyrelsen skal ansøges om individuel udleveringstilladelse. Pilokarpin

Spytstimulation

Stimulation af spytsekretionen

Ved sejt spyt

Befugtning af mundslimhinde

Pleje af tørre læber

Sukker- og syrefrit tyggegummi

Sukkerfri sugetabletter/pastiller/bolsjer

Tygning af sprøde, vandholdige grøntsager

Pilokarpin

Akupunktur

Intraoral elektrostimulation

Bromhexin (mukolytikum)

Vand (på sprayflaske), regelmæssige små sip af vand

Spyterstatningsprodukter (mundskyl, spray eller gel)

Vegetabilsk olie (solsikke-, hørfrøolie mv.)

Kæmpenatlysolie

Læbepomade, læbebalsam, evt. med lanolin, fed fugtighedscreme, zinksalve, levertransalve, hvid vaseline

Tabel 1. Midler til spytstimulation og lindring af xerostomi.

Table 1. Salivary stimulants and oral lubricants.

skal anvendes med forsigtighed til patienter med forhøjet blodtryk, hjerte-kar-sygdom, mavesår, vandladningsproblemer og akut iritis. Bivirkninger omfatter tremor, myopi, øjenirritation, hyppig vandladning og hovedpine (10).

Cevimelin (Evoxac®) er en kolinerg agonist, der binder sig til muskarine M3-receptorer. Cevimelin har derfor mere specifik effekt på spytkirtelcellerne og har færre systemiske bivirkninger end pilokarpin (for oversigt 11-13). Evoxac® er ikke markedsført i Danmark.

Systemisk behandling med bromhexin i en dosering på 24 mg 3 gange dagligt har vist sig at have en gavnlig effekt på øjentørhed og xerostomi hos patienter med Sjögrens sygdom. Præparatet har også vist sig at øge tåresekretionen, mens effekten på spytsekretionen er uafklaret (11). Bromhexin havde ingen effekt på spytsekretionen hos patienter, som havde modtaget strålebehandling for hoved-hals-cancer (14). Bromhexin virker slimløsende og antages at mindske spyttets viskositet. Det kan således primært anbefales til patienter, som har et meget sejt spyt, som opleves vanskeligt at synke. Bromhexin er kontraindiceret hos patienter med mavesårshistorik.

En række kliniske studier indikerer, at akupunkturbehandling kan mindske xerostomigener og øge spytsekretionen hos patienter med Sjögrens sygdom og hos patienter, som har modtaget strålebehandling for hoved-hals-cancer (15). Akupunkturbehandling har primært effekt hos patienter med resterende funktionelt spytkirtelvæv. Virkningsmekanismen bag akupunktur antages at være relateret til frigivelse af neurotransmittere, som aktiverer spytkirtelceller og endotelceller (16).

Et nyere randomiseret sham-kontrolleret opfølgningsstudie har vist en signifikant forbedring af xerostomien og øgning af den ustimulerede helspytsekretionshastighed hos patienter med Sjögrens sygdom ved hjælp af intraoral elektrostimulation (17). Derimod var behandlingen uden effekt hos patienter 3-5 år efter afsluttet strålebehandling for hoved-hals-cancer (18). Det kan tænkes, at behandlingen skal iværksættes tidligere for at opnå effekt. Ved behandlingen anvendes et særligt apparatur, som leverer lavspændingsstrøm til den nærliggende mundslimhinde i regio nervus lingualis, hvorved afferente og efferente ledningsbaner i spytsekretionsrefleksen stimuleres.

Lindring af xerostomi

Hvis effekten af gustatorisk, mastikatorisk og farmakologisk stimulation af spytkirtlerne er utilstrækkelig, vil der være behov for at fugte munden regelmæssigt med vand eller spyterstatningsprodukter (Tabel 1). Vand og fugtende spyterstatningsprodukter lindrer xerostomi, men ofte kun kortvarigt, og det er nødvendigt med hyppig applicering. For nogle patienter kræver det tilvænning at anvende spyterstatningsprodukter pga. smagen og konsistensen. Andre patienter finder det besværligt og omkostningstungt at skulle anvende spray eller applicere gel hyppigt på mundslimhinden (11-13,19). Der er mange forskellige kommercielt tilgængelige spyterstatningsprodukter, og den enkelte patient kan forsøge sig med forskellige produkter for at finde det, der fungerer bedst. Naturligt spyt har unikke lubrikerende egenskaber, og spyttets sammensætning ændrer sig flere gange i løbet af døgnet. Det er meget vanskeligt at

udvikle et produkt, som kan erstatte spyttets mange unikke egenskaber, og de kommercielt tilgængelige spyterstatningsprodukter har ofte en kortvarig og begrænset effekt, og prisen kan være høj (20).

Det er også en mulighed at anvende vegetabilske olier til befugtning af mundslimhinden, fx solsikkeolie, hørfrøolie, olivenolie eller rapsolie. Olien kan enten påsmøres direkte eller anvendes som spray. Patienter med let til moderat nedsat spytsekretion har ofte størst gavn af spyterstatningsprodukter med lav viskositet (spray/mundskyl) eller vand (evt. i sprayflaske) i dagtimerne, og spyterstatningsprodukter med høj viskositet (gel) til natten eller i perioder med udtalt xerostomi i dagtimerne. Patienter med let nedsat spytsekretion vil typisk opleve lindring ved at indtage små slurke vand regelmæssigt eller anvende vandspray i løbet af dagen. Patienter med hyposalivation, dvs. ustimuleret helspytsekretionshastighed på ≤ 0,10 ml/min, vil sædvanligvis have gavn af spyterstatningsprodukter med høj viskositet (gel) i såvel dagtimerne som nattetimerne, suppleret med lav viskositet (spray/mundskyl) efter behov i dagtimerne (Tabel 1) (21).

Biologiske lægemidler

Biologiske lægemidler er udviklet til at interagere med specifikke molekylære mål (targets). Det kan være bestemte receptorer på cellens overflademembran eller signalstoffer (cytokiner), der indgår i de immuninflammatoriske sygdomsprocesser (22). Ved anvendelse opnås således en mere sygdomsspecifik virkningsmekanisme med færre bivirkninger end behandling med konventionelle lægemidler. Behandlingen kan dog udløse forskellige former for immunologiske reaktioner og kan svække det normale immunrespons på infektioner (22). Biologiske lægemidler anvendes i stigende grad i behandlingen af autoimmune reumatiske sygdomme og inflammatoriske tarmsygdomme. Rituximab (anti-CD20 monoklonalt antistof) er også blevet undersøgt som behandlingsmulighed ved Sjögrens sygdom i en række kliniske studier (23). Disse har vist forskelligartede resultater, men med en vis gavnlig effekt på spytsekretionen. Aktuelt testes andre monoklonale antistoffer som led i behandlingen af Sjögrens sygdom, heriblandt epratuzumab (anti-CD22), daratumumab (anti-CD38), iscalimab (antiCD40), abatacept (anti-CD80/86), infliximab og etanercept (anti-Tumour Necrosis Factor (TNF)-α). Desuden testes en lang række andre biologiske lægemidler med andre targets, herunder BAFF (B-celle-aktiverende faktor) -hæmmere (belimumab og ianalumab), telitacicept (en BAFF og APRIL (A ProliferationInducing Ligand) hæmmer), cytokinreceptorhæmmere (tocilizumab, bortezomib, ustekinumab, baricitinib) og Janus kinase(JAK) hæmmer (filgotinib) (23). Det er en lovende udvikling, der formentlig inden for en kort årrække vil føre til mere effektive og individbaserede behandlinger til at begrænse sygdomsaktiviteten og lindre de eksokrine og noneksokrine symptomer ved Sjögrens sygdom.

Genterapi

Acinuscellerne i spytkirtlerne, og især de serøse acinusceller, er relativt følsomme for bestråling. Det betyder, at det spytkirtelvæv, som er involveret i strålefeltet, vil blive beskadiget,

klinisk relevans

Uanset tilgrundliggende årsag fører længerevarende nedsat spytsekretion til udvikling af orale symptomer, herunder xerostomi og orale sygdomme, som kan påvirke de orofaciale funktioner, det generelle helbred og livskvaliteten. Tandlæger og tandplejere spiller en central rolle i forhold til at rådgive om, forebygge, lindre og behandle de orale symptomer og komplikationer. Ved behandling tilstræbes lindring af xerostomi og forebyggelse/begrænsning af de orale komplikationer ved stimulation af spytsekretionen, herunder aktivering af en eventuel sekretorisk residualkapacitet i spytkirtelvævet, ved direkte tilførsel af manglende fugt til mundslimhinden og cariesprofylakse.

og afhængigt af den totale stråledosis til spytkirtlerne vil der være en relativt beskeden sekretorisk residualkapacitet efter strålebehandlingen.

Ved genterapi forsøges funktionen af det beskadigede spytkirtelvæv genoprettet ved indsættelse af vandtransportveje (aquaporiner) i spytkirtelcellerne for at fremkalde vandsekretion. Kontrollerede, randomiserede, dobbeltblindede kliniske studier på glandula parotidea hos patienter med strålebehandlingsinduceret xerostomi og hyposalivation har vist, at spytsekretionen øges, og xerostomigener lindres vedvarende i op til ca. tre år efter genterapi (24). Et større randomiseret, dobbeltblindt, kontrolleret klinisk multicenterstudie er igangværende (identifikationsnr. ClinicalTrials.gov NCT05926765).

Stamcelleterapi

Stamcelleterapi er en nyere behandlingsmetode, der primært er blevet testet hos patienter, som skal eller har været i strålebehandling for hoved-hals-cancer. Stamceller kan bl.a. høstes fra selve spytkirtlerne før strålebehandlingens start og injiceres igen efter strålebehandlingens afslutning. Det er hensigten, at spytkirtelstamcellerne skal regenerere det beskadigede spytkirtelvæv. Der foregår omfattende forskning, som vedrører identifikation af spytkirtelspecifikke stamceller (25). Stamceller kan også høstes fra andet væv, fx i form af mesenkymale stamceller fra fedtvæv. Kontrollerede, randomiserede og dobbeltblindede kliniske studier med indsprøjtning af mesenkymale stamceller fra fedtvæv i gl. submandibularis hos patienter med stråleterapiinduceret xerostomi og hyposalivation har vist signifikant øget spytsekretion i op til fire måneder efter behandlingen og en signifikant lindring af xerostomigener (26). Behandling med mesenkymale stamceller injiceret intravenøst og peritonealt er også blevet testet hos patienter med Sjögrens sygdom, med lovende effekt på den lymfocytære infiltration i spytkirtlerne og på spytsekretionen (27). Et igangværende dansk randomiseret, dobbeltblindt klinisk studie tester effekten af injektion med mesenkymale stamceller fra fedtvæv i gl. submandibularis på patienter med Sjögrens sygdom (identifikationsnr. ClinicalTrials.gov NCT06805448).

BEHANDLING AF KONSEKVENSERNE AF NEDSAT SPYTSEKRETION

Cariesprofylakse

Patienter med nedsat spytsekretion skal informeres om den forøgede risiko for at udvikle caries, og der skal være særligt fokus på patientens egenindsats i forhold til at opretholde en god mundhygiejne, ligesom der kan være behov for hyppig kontrol og professionel tandrensning og fluoridbehandling. Den forebyggende behandlingsstrategi tilrettelægges på baggrund af patientens kostvaner, graden af nedsat spytsekretion, cariesaktivitetsniveau og patientens evne til at opretholde optimal mundhygiejne og efterleve anvisninger. Tandbørstning med almindelig tandpasta med 1.450 ppm fluorid morgen og aften, evt. suppleret med tandbørstning efter måltider og regelmæssigt approksimalt renhold, kan være tilstrækkelig cariesprofylakse for patienter, der ikke er cariesaktive, og som har en god komplians (28,29).

Nogle patienter tåler ikke tilsætningsstoffer i almindelig tandpasta pga. ømfindtlige og sarte mundslimhinder, og de kan med fordel anbefales en fluoridholdig tandpasta uden smagsstoffer, farvestoffer, konserveringsmidler eller overfladespændingsnedsættende midler (skummemidler) som natriumlaurylsulfat. Hos patienter (> 16 år) med høj cariesaktivitet bør der iværksættes behandling med højdosis fluorid (5.000 ppm) tandpasta op til 3 gange dagligt. Tandlægen har mulighed for at ansøge om enkelttilskud til højdosis fluoridtandpasta til en patient, hvis det vurderes, at den er af særlig behandlingsmæssig betydning for patienten.

Patienter med moderat og høj cariesrisiko kan også behandles med lokal fluoridapplikation på professionelt rengjorte tandflader hver 3.-6. måned. Der kan anvendes penslevæske 2 % natriumfluorid (≈ 10.000 ppm fluorid) eller lak (22.600 ppm fluorid). Hos patienter med meget høj cariesaktivitet eller risiko for hurtigt progredierende cariesudvikling kan lokal applikation foretages hver måned.

Mundskylning med 0,2 % natriumfluorid (≈ 1.000 ppm fluorid, receptpligtig) kan anvendes til patienter med høj cariesaktivitet og høj cariesrisiko, og som sjældent børster tænder med fluoridtandpasta (29). I særligt svære tilfælde kan individuel skinne med 1 % neutral fluoridgel i 5 min 1 gang dagligt eller ugentligt være indiceret (30).

Behandling af oral candidose

Patienter med nedsat spytsekretion har ofte tilbagevendende oral candidose. Symptomerne på oral candidose kan være en sviende, brændende fornemmelse i mundslimhinden, xerostomifornemmelse og smagsforstyrrelser (metalagtig og/eller syrlig smag). Diagnosen oral candidose stilles på baggrund af kliniske manifestationer og/eller symptomer sammenholdt med positive parakliniske undersøgelsesresultater (31). Den mest optimale metode til påvisning af oral candidose er mundslimhindeskrab. På celleskrabet foretages immunhistokemisk farvning med PAS (Periodic Acid-Schiff) med henblik på identifikation af Candida-hyfer og -blastosporer (31).

Akutte infektioner (pseudomembranøs eller erytematøs type) behandles lokalt (førstevalg) eller systemisk i 1-2 uger. De

fleste akutte infektioner kan ofte forklares, idet patienten typisk har været i fx antibiotisk behandling eller steroidbehandling kort tid forinden. De længerevarende, kroniske infektioner, der kan være pseudomembranøse, erytematøse eller hyperplastiske, behandles ved lokalbehandling i 4-6 uger eller systemisk behandling i 2-3 uger (31). Lokalbehandling er førstevalg til behandling af oral candidose eller cheilitis angularis. Nogle patienter kan dog have svært ved at gennemføre behandlingen, idet den ofte er langvarig (4-6 uger) og kræver hyppig applikation (4 gange dagligt).

Nystatin 100.000 IE/ml som oral suspension (mikstur) er førstevalgspræparatet i de tilfælde, hvor der er risiko for interaktion med patientens daglige lægemiddelindtag. Nystatin har ingen kendte interaktioner og er derfor anvendelig til medicinerede patienter. Nystatin og klorhexidinholdig mundskyllevæske eller gel bør dog ikke anvendes samtidigt pga. gensidig hæmmende effekt. Det er vigtigt at ordinere den sukkerfri variant af nystatin. Sukkerholdig mikstur øger risikoen for caries hos betandede patienter, da præparatet skal doseres 4 gange dagligt i 4-6 uger.

Miconazol 2 % mundhulegel (der for øjeblikket er udgået af markedet) appliceres på mundslimhinden (4 gange dagligt i 4-6 uger), og overskydende gel synkes. Mundhulegelen er særlig velegnet til protesebærere, idet den kan appliceres på protesens underside og derved optimerer behandlingseffekten. Miconazol interagerer med warfarin, visse orale antidiabetika, fenytoin, teofyllin, cyclosporin og celecoxib, hvorved effekten af disse potenseres.

Til behandling af angulær cheilitis kan anvendes clotrimazol creme 1 % eller miconazol creme 2 % (31).

Ved systemisk behandling, hvor lokal behandling ikke er mulig, anvendes typisk fluconazol 50-100 mg, som tages 1 gang dagligt i 1-2 uger. Fluconazol fås som kapsler og som oral suspension/mikstur. Sidstnævnte har dog et højt sukkerindhold. Fluconazol interagerer med en lang række andre lægemidler og kombinationsbehandling med fluconazol og erythromycin eller fluconazol og fluvastatin bør helt undgås.

Der er i øvrigt ingen væsentlig forskel mellem lokal og systemisk antimykotisk behandling i forhold til behandlingseffekt. Resultatet af antimykotisk behandling bør altid vurderes efter endt behandling (31).

Fluconazol i form af 150 mg 1 gang ugentligt kan gives som profylakse ved hyppigt recidiverende oral candidose, men det er vigtigt regelmæssigt at undersøge effekten, idet langvarig behandling kan medføre resistensudvikling og selektion af Candida-arter, der ikke er følsomme for azoler.

Ved behandlingsrefraktær eller recidiverende oral candidose bør diagnosen i det hele taget verificeres ved skrab eller ved podning og species-/resistensbestemmelse (31).

Grundlaget for et godt behandlingsresultat er også, at prædisponerende faktorer i videst muligt omfang elimineres, herunder tobaksrygning, højt sukkerindtag og utilstrækkelig mundhygiejne. Det er vigtigt at informere patienten om dette.

Mundskylning med klorhexidin (0,12 %, 2 gange dagligt, uden alkohol som konserveringsmiddel) har bredspektret antimikrobiel aktivitet, herunder mod Candida-species, og kan be-

nyttes ved recidiverende oral candidose med beskedne symptomer (31).

Mundskylning med bikarbonatopløsning udgør en simpel og skånsom metode til lindring af mundhulegener. Denne kan fremstilles ved at opløse en teskefuld natriumbikarbonat i en halv liter vand. Patienten gurgler munden med opløsningen 3-4 gange dagligt. Efter hver skylning spyttes væsken ud. Bikarbonatopløsningen kan begrænse udviklingen af svampeinfektioner og samtidig lindre orale sviende, brændende gener (4).

Håndtering af patienter med hævelse af de store spytkirtler

Det er ikke ualmindeligt, at der kan opstå hævelse af de store spytkirtler i relation til nedsat spytsekretion. Hævelser af de store spytkirtler kan skyldes en retrograd bakteriel infektion. Symptomerne kan være akut opstået hævelse, ømhed, varme og rødme i regionen, feber samt almen sygdomsfølelse. I disse tilfælde behandles med antibiotika, hvorefter hævelsen og symptomerne typisk forsvinder. Undertiden kan der være tale om spytsten (eller tilstopning med slimprop af muciner), og symptomerne vil oftest være smerter og hævelse af spytkirtlen i relation til fødeindtagelse. Patienten anbefales da at stimulere spytsekretionen og drikke rigeligt med væske og henvises til relevant billeddiagnostisk udredning og behandling. Patienter med Sjögrens sygdom har ofte tilbagevendende og smertefulde hævelser af de store spytkirtler, især glandula parotidea. Disse er inflammationsbetingede, og i spytkirtelvævet ses lymfocytære infiltrater. Det kan undertiden være nødvendigt at behandle disse hævelser med glukokortikoid. Det er en specialistopgave. Ved unilateral, persisterende og fast spytkirtelhævelse bør patienten henvises til øre-næse-hals-læge for relevant udredning, idet patienter med Sjögrens sygdom har en øget risiko for udvikling af non-Hodgkin lymfom (11).

TILSKUD TIL TANDPLEJE FOR UDVALGTE

PATIENTGRUPPER VIA § 166-ORDNINGEN

Efter sundhedslovens § 166 kan udvalgte patientgrupper efter ansøgning visiteres til særligt økonomisk tilskud til almindelig forebyggende og behandlende tandpleje og særligt kostbare behandlinger i privat tandpraksis. Tilskudsordningen er målrettet patientgrupper, der er i særlig risiko for eller har fået betydelige tandproblemer eller betydelig oral funktionsnedsættelse som følge af deres sygdom eller sygdomsbehandling. Det er patientens bopælsregion, der yder det særlige økonomiske tilskud. Den 1. juli 2024 blev § 166, stk. 1-ordningen udvidet, og Tabel 2 viser de udvalgte patientgrupper, der nu er omfattet. Sundhedsloven § 166, stk. 2 omfatter patienter, der pga. medfødte sjældne sygdomme har tandproblemer. For nogle patientgrupper er det et krav, at der er påvist nedsat spytsekretion ved sialometri, og for andre er der krav om påvist nedsat spytsekretion samt betydelige dokumenterede tandproblemer på ansøgningstidspunktet (32,33). I november 2024 blev der fremsat et lovforslag om at udvide § 166, stk. 1 til at omfatte yderligere tre patientgrupper. Det drejer sig om patienter i behandling med tricykliske antidepressiva (i > 6 måneder), pa-

Patientgrupper omfattet af sundhedslovens § 166 stk. 1

Patientgruppe

Patienter, der pga. kræft har fået strålebehandling i hoved- eller halsregionen

Patienter, der pga. blodkræft har modtaget helkropsbestråling forud for allogen knoglemarvstransplantation

Patienter, der pga. knoglemarvstransplantation har udviklet kronisk graft versus host-sygdom (GvHD)

Patienter, der er diagnosticeret med Sjögrens sygdom

Patienter, der pga. kræft har fået kemoterapi, immunterapi eller hormon- og antihormonbehandling

Patienter, der pga. sygdom i skjoldbruskkirtlen har modtaget behandling med radioaktivt jod

Tilskud

Livslangt

Livslangt

Livslangt

Livslangt

Tidsbegrænset

Tidsbegrænset

Tabel 2. Patientgrupper, der efter ansøgning og opfyldelse af krav kan visiteres til særligt økonomisk tilskud (livslangt eller tidsbegrænset) iht. sundhedslovens § 166 stk. 1 (32).

Table 2. Patients who, after application and meeting requirements, can obtain subsidies (lifelong or time-limited) for preventive and therapeutic dental care according to the Danish Health Act § 166 stk. 1 (32).

tienter med en svær psykisk lidelse, der er i fast behandling med psykofarmaka (i > 6 måneder) samt patienter med refluks efter operation med hel eller delvis fjernelse af lukkemusklen mellem spiserør og mavesæk (34). Loven forventes at træde i kraft den 1. juli 2025.

KONKLUSION

Forud for behandling af en patient med xerostomi er det vigtigt så vidt muligt at afklare årsagen og at foretage en sialometri, dels for at vurdere, om spytsekretionen er nedsat og i hvilken grad, dels for at afgøre, om patienten har resterende funktionelt spytkirtelvæv. Hvis dette er tilfældet, anbefales tiltag til stimulation af spytsekretionen. Der vil ofte, uagtet om der er tilstedeværelse af residualkapacitet i kirtelvævet eller ej, være behov for befugtning af mundslimhinden og lindring af xerostomi ved regelmæssig brug af forskellige spyterstatningsmidler. Patientinformation, rådgivning om livsstilsfaktorer, hyppige tandeftersyn og forebyggende behandling, herunder cariesprofylakse, er andre centrale elementer, der er afgørende for, at patienter med xerostomi og nedsat spytsekretion kan bevare et funktionsdygtigt tandsæt. Lovende udvikling inden for biologisk medicin, genterapi og stamcelleterapi betyder, at der inden for en kort årrække må forventes at komme mere effektive og individbaserede behandlingsmetoder til genetablering af spytkirtelfunktion efter vævsdegeneration.

ABSTRACT (ENGLISH)

CURRENT AND POTENTIAL FUTURE THERAPIES FOR XEROSTOMIA AND SALIVARY GLAND HYPOFUNCTION

Identification of the cause of xerostomia and salivary gland hypofunction is obviously essential to decide on a relevant treatment strategy. However, it is often difficult to identify a specific cause, as salivary gland dysfunction can be caused by a complex interaction of several factors, including multimorbidity and polypharmacy. Furthermore, in many cases the cause cannot be changed or eliminated, e.g. in the case of radiotherapy-induced salivary gland dysfunction. Regardless of the underlying causes, it is crucial to initiate a treatment strategy that is adapted to the individual patient, and that includes measures that can ameliorate the symptoms

LITTERATUR

1. Pedersen AM, Bardow A, Jensen SB et al. Saliva and gastrointestinal functions of taste, mastication, swallowing and digestion. Oral Dis 2002;8:117-29.

2. Dawes C, Pedersen AML, Villa A et al. The functions of human saliva: a review sponsored by the World Workshop on Oral Medicine VI. Arch Oral Biol 2015;60:863-74.

3. Lynge Pedersen AM, Belstrøm D. The role of natural salivary defences in maintaining a healthy oral microbiota. J Dent 2019;80 Suppl 1:S3-12.

4. MASCC/ISOO Oral Care Study Group. Oral care – patient information fact sheets. (Set 17. marts 2025). Tilgængelig fra: URL: https://mascc.org/resources/ oral-care-patient-education/

5. Leinonen J, Vähänikkilä H, Raninen E et al. The survival time of restorations is shortened in patients with dry mouth. J Dent 2021;113:103794.

6. Mhatre S, Srichand R, Sethumadhavan J et al. Dry mouth dilemma: a comprehensive review of xerostomia in complete denture wearers. Cureus 2024;16:e58564.

7. Hosseini M, Jensen SS, Gotfredsen K et al. Prognosis of single implant-supported prosthesis in patients with primary Sjögren’ syndrome: a five-year prospective clinical study. Clin Oral Implants Res 2025;36:51-63.

8. Maarse F, Fennis WMM, Twisk JWR et al. Implant supported overdentures in Sjögren’s disease patients: a multicentre prospective cohort study. Clin Exp Rheumatol 2023;41:2418-27.

9. Wolff A, Joshi RK, Ekström J et al. A guide to medications inducing salivary gland dysfunction, xerostomia, and subjective sialorrhea: a systematic review sponsored by the World Workshop on Oral Medicine VI. Drugs R D 2017;17:1-28.

10. Berk L. Systemic pilocarpine for treatment of xerostomia. Expert Opin Drug Metab Toxicol 2008;4:1333-40.

11. Pedersen AM, Nauntofte B. Primary Sjögren’s syndrome: oral aspects on pathogenesis, diagnostic criteria, clinical features and approaches for therapy. Expert Opin Pharmacother 2001;2:1415-36.

12. Jensen SB, Pedersen AML, Vissink A et al. A systematic review of salivary gland hypofunction and xerostomia induced by cancer therapies: management strategies and economic impact. Support Care Cancer 2010;18:1061-79.

13. Mercadante V, Jensen SB, Smith DK et al. Salivary gland hypofunction and/or xerostomia induced by nonsurgical cancer therapies: ISOO/MASCC/ASCO guideline. J Clin Oncol 2021;39:2825-43.

14. Abbasi F, Farhadi S, Esmaili M. Efficacy of pilocarpine and bromhexine in improving radiotherapy-in-

of dry mouth, increase the residual salivary secretion and, not least, prevent and limit the consequences of impaired salivary secretion and improve the patient’s quality of life. This paper reviews the treatment options that should be implemented in patients with xerostomia and/or salivary gland hypofunction, based on cause and severity. In addition, potential future therapeutic approaches aimed at restoring the function of damaged salivary gland tissue are reviewed, including biological medications, gene therapy and stem cell therapy. Finally, the paper describes the specific groups of patients with hyposalivation that can apply for a subsidy for preventive and therapeutic dental care covered by the Danish Health Act § 166.

duced xerostomia. J Dent Res Dent Clin Dent Prospects 2013;7:86-90.

15. Cohen L, Danhauer SC, Garcia MK et al. Acupuncture for chronic radiation-induced xerostomia in head and neck cancer: a multicenter randomized clinical trial. JAMA Netw Open 2024;7:e2410421.

16. Blom M, Lundeberg T. Long-term follow-up of patients treated with acupuncture for xerostomia and the influence of additional treatment. Oral Dis 2000;6:15-24.

17. Fedele S, Al-Hamad A, Mercadante V et al. Long-term effectiveness of a novel intra-oral electro-stimulator for the treatment of dry mouth in patients with Sjogren’s syndrome: a randomised shamcontrolled feasibility study (LEONIDAS-1). J Oral Pathol Med 2023;52:619-27.

18. Mercadante V, Hamad AA, McCaul J et al. Salivary electrostimulation in the treatment of radiation therapy-induced xerostomia (LEONIDAS-2): a multicenter, randomized, double-masked, sham-controlled, phase 3 trial. Int J Radiat Oncol Biol Phys 2024;118:142-53.

19. Villa A, Wolff A, Aframian D et al. World Workshop on Oral Medicine VI: a systematic review of medication-induced salivary gland dysfunction: prevalence, diagnosis, and treatment. Clin Oral Investig 2015;19:1563-80.

20. Carpenter G. Artificial salivas: why are they not more useful. In: Car-

penter G, ed. Dry mouth: a clinical guide on causes, effects and treatments. 1st ed. London: Springer 2015;165-73.

21. Dynesen AW, Pedersen AML, Jensdottir T et al. Lægemidler til lindring og behandling af xerostomi. Tandlægebladet 2013;117: 900-6.

22. Pedersen AML, Locht H. Odontologiske aspekter ved behandling med biologisk medicin. Oslo: Aktuel Nordisk Odontologi 2024;49:130-47.

23. Li XX, Maitiyaer M, Tan Q et al. Emerging biologic frontiers for Sjogren’s syndrome: unveiling novel approaches with emphasis on extra glandular pathology. Front Pharmacol 2024;15:1377055.

24. Alevizos I, Zheng C, Cotrim AP et al. Late responses to adenoviralmediated transfer of the aquaporin-1 gene for radiation-induced salivary hypofunction. Gene Ther 2017;24:176-86.

25. Paz C, Glassey A, Frick A et al. Cancer therapy-related salivary dysfunction. J Clin Invest 2024;134:e182661.

26. Jakobsen KK, Carlander ALF, Grønhøj C et al. Effectiveness and safety of mesenchymal stem/stromal cell for radiation-induced hyposalivation and xerostomia in previous head and neck cancer patients (MESRIX-III): a study protocol for a single-centre, double-blinded, randomised, placebo-controlled, phase II study. Trials 2023;24:567.

27. Chihaby N, Orliaguet M, Le Pottier LL et al. Treatment of Sjögren’s syndrome with mesenchymal stem cells: a systematic review. Int J Mol Sci 2021;22:10474.

28. Ekstrand KR, Twetman S. Principper og praksis for carieskontrol med fluorider. Tandlægebladet 2013;117:298-304.

29. AARHUS UNIVERSITET. Klinisk vejledning i brug af fluorid. (Set 2025 juni). Tilgængelig fra: URL: https://tandlaegeskolen.au.dk/ fileadmin/user_upload/Kliniske_

vejledninger/IOOS_fluorid_vejl_ okt2024_FINAL.pdf

30. Hong CHL, Hu S, Haverman T et al. A systematic review of dental disease management in cancer patients. Support Care Cancer 2018;26:155-74.

31. Kragelund C, Reibel J, Pedersen AML. Management of patients with oral candidiasis. In: Pedersen AML, ed. Oral infections and general health: from molecule to chairside. London: Springer, 2016; 137-44.

32. RETSINFORMATION. Bekendtgørelse af sundhedsloven, LBK nr. 1015 af 05/09/2024. (Set 2025 juni). Tilgængelig fra: URL: https://www.retsinformation.dk/ eli/lta/2024/

33. SUNDHEDSSTYRELSEN. Den regionale tandpleje. (Set 2025 juni). Tilgængelig fra: URL: https:// www.sst.dk/-/media/Udgivelser/2024/Tandpleje/Ny-vejledning-om-den-regionale-tandplejefinal-221024

34. FOLKETINGET LOVFORSLAG. L 157 Forslag til lov om ændring af sundhedsloven.

(Udvidelse af ordning om tilskud til tandpleje for udvalgte patientgrupper). (Set 2025 juni). Tilgængelig fra: URL: https://www.ft.dk/samling/20241/ lovforslag/l157/index.htm

Udfordringerne i tandlægebranchen kræver solide beslutninger. Som din rådgiver skaber vi overblik, styring og sikkerhed i økonomien – så du kan fokusere på patienterne.

Det skal du vide om:

Gingival retraktion

DENNE UDGAVE af Tandlægebladets guide sætter fokus på gingival retraktion: Årsag, diagnostik og behandling.

TANDLÆGE, PH.D., EFP-CERTIFICERET

SPECIALIST I PARODONTOLOGI, OG KIM ANDREASEN, JOURNALIST

Baggrund og prævalens

Gingival retraktion defineres som en apikal forskydning af den gingivale margin i forhold til emaljecementgrænsen (ECG), hvilket resulterer i fæstetab og eksponering af rodoverfladen til det orale miljø.

Gingivale retraktioner er meget almindelige i populationer med høj standard af mundhygiejne, hvor de ofte er relateret til traumatisk tandbørstning –særligt på de bukkale flader, hvor der

også hyppigt ses usurdannelse cervikalt. Forekomsten blandt personer over 64 år er 88 %, og 50 % af de 18-63-årige rammes af gingival retraktion på minimum ét sted. Langt de fleste tilfælde kræver ikke behandling.

Symptomer

Gingivale retraktioner er ofte asymptomatiske, men kan i svære tilfælde resultere i kombinerede endodontiskparodontale læsioner. Det kan i sidste ende føre til tandtab.

Følgende aspekter/symptomer gør gingivale retraktioner klinisk interessante: ¾ Æstetiske aspekter

¾ Dentin-hypersensitivitet

¾ Eksponerede rodoverflader, da de er mere disponerede for caries og usurdannelse

¾ Gingivitis, ømhed eller smerter ved tandbørstning

Ætiologi

Der er flere prædisponerende faktorer, som anses for at spille en rolle i udviklingen. En af de hyppigste årsager, der er associeret med gingivale retraktioner, er traumatisk tandbørstning. En anden faktor er manglende knogle omkring tænderne i form af dehisenser og fenestrationer og ydermere tandens position i tandbuen. Ofte er årsagen en kombination af flere faktorer.

Retraktioner, der er associeret med generaliserede former for destruktiv parodontal sygdom, findes ikke kun facialt, men også approximalt. Den apikale displacering af den marginale gingiva er en uundgåelig konsekvens af tabt støttevæv omkring tænderne og et resultat af parodontalbehandlingen. Denne form for retraktion er blivende.

Anatomiske faktorer:

¾ En tynd parodontal fænotype (se Tabel 1) har en tendens til at udvikle flere gingivale retraktioner end en tyk fænotype – det er fastslået i litteraturen.

¾ En bukkalt placeret eller roteret tandposition

Slanke, trekantede, approx. kontaktpunkt tæt på incisalkanten Tyk,

Firkantet, korte, bredt approx. kontaktpunkt Tyk, kurvet 1 mm tyk fibrøs gingiva

Slanke tænder, bredt approx. kontaktpunkt

TABEL 1. Klassifikation af parodontal fænotype.

¾ Ektopisk eruption

¾ Knoglefenestrationer og dehisenser

¾ Læbebåndstilhæftning tæt ved margo gingiva og andre vævsdeformationer, som kompromitterer optimal mundhygiejnekontrol.

Fysiologiske faktorer:

¾ Ortodontisk tandflytning uden for alveolens grænser, særligt ved patienter med tynd fænotype, er en væsentlig årsag til gingival retraktion hos unge. Mellem 5 og 12 % udviser tilstanden under og efter behandlingen.

¾ En aktiv ortodontisk retainer kan medføre ugunstig rodtorque eller displacering af tænderne efter endt behandling. Langsigtede observationer angiver en forekomst af gingivale retraktioner på op til 47 %, hovedsageligt af underkæbeincisiver.

Andre risikofaktorer:

¾ Tandbørsteteknik: hyppighed, varighed, børstekraft, børstehårenes hårdhed

¾ Læbe-/tungepiercing

¾ Iatrogene faktorer, fx uhensigtsmæssige cervikale restaureringer (fyldningsoverskud, manglende respekt for biologisk bredde)

¾ Brug af snus

¾ Andre gingivale læsioner, fx plakinduceret gingival inflammation, gingival påbidning ved avancerede klasse II- eller III-malokklusioner, virusinfektioner m.fl.

Diagnostiske overvejelser og klassificering:

Følgende diagnostiske elementer tages i betragtning ved behandling af gingivale retraktioner:

¾ Retraktionens dybde i forhold til ECG

¾ Retraktionens bredde

¾ Gingival tykkelse (GT)

¾ Keratiniseret vævsbredde (KTW)

¾ Approximal klinisk fæsteniveau (CAL)

¾ Tilstedeværelsen af usur samt ECGsynlighed

¾ Vurdering af tandens position i tandbuen — da tanden evt. inden behandling skal undergå ortodontisk korrektion ved indføring af tanden i tandbuen

¾ Enoral røntgen for vurdering af apikale forhold.

Til at forudsige potentialet for fuldt roddække benyttes en behandlingsorienteret klassifikation præsenteret af Cairo et al. (2011):

¾ Retraktionstype 1 (RT1) (tidl. Miller I/II)

¾ Ingen approximal fæstetab; ECG er klinisk ikke synlig mesialt og distalt for tanden

¾ Retraktionstype 2 (RT2) (tidl. Miller III)

¾ Approximal fæstetab ≤ det bukkale fæstetab (målt fra ECG til den apikale del af sulcus)

¾ Retraktionstype 3 (RT3) (tidl. Miller IV)

¾ Approximal fæstetab > det bukkale fæstetab (målt fra ECG til den apikale del af sulcus)

100 % roddække kan opnås ved behandling af Retraktionstype 1. Ved retraktionstype 2 kan delvist roddække forventes, mens roddække ikke kan opnås ved Retraktionstype 3.

Parodontal plastikkirurgi

Formålet med kirurgisk behandling af en gingival retraktion er at genskabe eller forbedre det tabte blødtvæv. Før kirurgiske roddækkeprocedurer udføres, skal de hyppigste årsager til den gingivale retraktion være under kontrol. Dette indebærer instruktion i korrekt og skånsom tandbørsteteknik samt fjernelse af evt. traumatiserende faktorer, herunder cervikale restaureringer og piercinger. Ydermere, hvis tanden er placeret uden for tandbuen, som fx ved en aktiv retainer, bør der udføres ortodontisk korrektion af tanden inden yderligere behandling.

Parodontale plastikkirurgiske procedurer ved behandling af gingivale retraktioner klassificeres som 1) stilket blødtvævstransplantat og 2) frit blødtvævstransplantater i kombination med enten forskudt lap- eller tunnelprocedurer.

Stilket blødtvævstransplantater grupperes som 1) forskudte lapprocedurer, fx laterale/oblique eller 2) avancerede

lapprocedurer, fx koronal eller semilunar koronalforskudt lap.

Frie blødtvævstransplantater kan udføres som 1) et epitelialiseret transplantat eller 2) et subepitelialiseret transplantat, begge som regel udtaget fra den hårde gane. Ofte anvendes en kombination af begge teknikker.

Valget af kirurgisk roddækketeknik afhænger af flere faktorer, som kan kategoriseres i tre grupper: de lokale anatomiske karakteristika af det sted, der skal behandles, patientens ønsker og kirurgens præferencer. ♦

Kilder: 1. Pini Prato GP. Mucogingival deformities. Ann Periodontol 1999;4:1-6.

2. Kassab MM, Cohen RE. The etiology and prevalence of gingival recession. J Am Dent Assoc 2003;134:220-5.

3. Cairo F, Nieri M, Cincinelli S et al. Interproximal clinical attachment level to classify gingival recessions and perdict root coverage outcoms. J Clin Periodontol 2011;38:661-6.

4. Cortellini P, Bissada NF: Mucogingival conditions in the natural dentition: Narrative review, case definitions, and diagnostic considerations. J Periodontol 2018;89:204-13.

Tandlægeliv påogland i by

HVERDAGEN SOM TANDLÆGE ser forskellig ud alt efter, om man bor og arbejder i byen eller provinsen. Tandlægerne samler sig i de større byer, og det efterlader mindre lokalsamfund med en mere presset tandpleje.

TEKST SOFIE SPARRE

FOTO THOMAS NIELSEN OG CATHRINE ERTMANN

Iden lille stationsby Arden i Nordjylland, omgivet af Danmarks største skov, driver tandlæge Claus Dønvang sin egen klinik, Arden Tandlægehus. Her har han været siden 1997, og han kender stort set alle, der lægger sig i stolen. - Jeg trives rigtig godt med at være den eneste tandlæge i byen. Det passer mig fint, at jeg selv bestemmer, og at tingene kan gøres på min måde, siger han.

For 66-årige Claus Dønvang har livet som landtandlæge været en succes. Men når man dykker ned i tallene, er tandlæger i yderområderne ved at være en truet art. Ifølge Tandlægeforeningens seneste undersøgelse går der nu 1.450 indbyggere pr. tandlæge i Region Syd, mens der i Region Nord, hvor Claus Dønvang hører hjemme, er 1.380 indbyggere til hver tandlæge. I hovedstadsområdet er der kun godt 1.000.

Claus Dønvang er måske undtagelsen, der bekræfter reglen. For hvor mange klinikker i yderområderne kæmper med at finde nye tandlæger, har han

¾¾

valgt at blive – og han trives i rollen som byens eneste tandlæge.

For ham handler det ikke om størrelse, men om frihed og nærhed til patienterne.

Fra jobmangel til egen klinik

Claus Dønvang blev uddannet fra Tandlægeskolen i Aarhus i 1986. Da han var færdig, var det småt med arbejde i Danmark – dengang var problemet et andet –der var ganske enkelt for mange tandlæger. Han søgte forgæves stillinger i flere større byer i Midtjylland, før han endte med at starte karrieren i Tyskland. I 1997 besluttede han sig for at skabe sit eget job – og endte i Arden.

- Her fulgte der både bolig og natur med, og så var beslutningen ikke så svær, fortæller han.

Siden klinikken slog dørene op, er byen vokset, og patientgruppen har ændret sig. Hvor patienterne tidligere primært var lokale, oplever Claus Dønvang i dag, at flere ressourcestærke unge familier flytter til området.

- Jeg har patienter i alle aldre – fra 18 til 90 år. Men de seneste år er der kommet flere yngre, veluddannede familier, som har taget den gode danske tandplejekultur med sig. Det giver et spændende mix i hverdagen, siger han.

En almindelig tandlæge med blik for helheden

På klinikken tager Claus Dønvang sig af de fleste typer behandlinger sammen med sine tandplejere. En kirurg

Jeg kender mange af patienterne rigtig godt, og de kender mig. Det er der helt klart fordele ved

CLAUS DØNVANG

Tandlæge, Arden

kommer fast et par gange om ugen, og rodbehandlinger henvises til kolleger med stor erfaring på fagområdet.

Men ellers løser han opgaverne selv og tager imod henvisninger fra kolleger i området.

- Jeg kalder mig selv en ganske almindelig tandlæge.

Jeg laver lidt af det hele. Jeg har videreuddannet mig på Dawson Academy i USA, så jeg arbejder meget helhedsorienteret med tandsæt og bidfunktion. Hvis tænder knækker igen og igen, er det sjældent kun tanden, der er problemet, forklarer Claus Dønvang, der særligt interesserer sig for bidfunktion.

Det helhedsorienterede syn fylder mere i dag, end da han blev uddannet.

- Dengang handlede det mest om huller og parodontitis. I dag ser vi på hele munden, og det er en god udvikling, synes jeg.

Tæt på patienterne – også uden for klinikken

Arden er ikke større, end at Claus Dønvang ofte møder sine patienter i dagligdagen. Det er en del af det, han sætter størst pris på.

- Jeg møder dem, når jeg køber ind, på gåturen i skoven eller når jeg cykler mountainbike. Det giver et særligt forhold. Jeg kender mange af dem rigtig godt, og de kender mig. Det er der helt klart fordele ved, siger han.

Han sætter pris på det nære, men selv om han er den eneste tandlæge, føler han ikke, at han står uden fagligt fællesskab.

- Jeg har et bredt netværk af kolleger i området, som jeg både mødes med og skriver sammen med. Vi hjælper hinanden og sparrer – det har altid været sådan. Tidligere arbejdede jeg et par dage om ugen på en stør-

re klinik i Aalborg. Der var klart fordele ved at have kolleger helt tæt på, så man bare kunne spørge hinanden til råds, men jeg trives bedst her, hvor jeg kan forme min egen hverdag, konstaterer han.

Udvikling bekymrer formand

Selv om Claus Dønvang ikke mærker manglen på ekstra hænder og er glad som eneste tandlæge i Arden, er formanden for Tandlægeforeningen, Torben Schønwaldt, alligevel bekymret for tandlægemanglen i yderområderne. Han kalder udviklingen “alvorlig”.

- Det bekymrer mig, at de fleste tandlæger vælger at slå sig ned i de større byer. Når der mangler hænder, bliver arbejdsdagen mere presset. Det betyder længere ventetider, og i værste fald må patienter køre langt for at få en tid eller finde sig en anden tandlæge, siger Torben Schønwaldt.

Han frygter, at flere klinikker i yderområderne vil blive nødt til at lukke, hvis udviklingen fortsætter, og at det vil ramme især ældre patienter, som i forvejen har svært ved at komme omkring.

- Det kan få store konsekvenser for tandsundheden, hvis patienterne ikke har mulighed for at komme til tandlægen, siger han.

Handler om mere end antallet af uddannede

Ifølge formanden handler løsningen ikke kun om at uddanne flere tandlæger. Det kræver også, at man politisk

og organisatorisk gør det mere attraktivt at arbejde – og ikke mindst at eje klinik uden for de store byer.

- Mange fravælger at blive klinikejere, fordi det i dag indebærer store administrative byrder og et betydeligt økonomisk ansvar. Det tager tid og fokus fra det, der egentlig betyder noget: patienterne, siger han.

Torben Schønwaldt peger samtidig på, at der er en tydelig geografisk skævhed i, hvem der uddanner sig til tandlæge. Størstedelen af de studerende på landets to nuværende tandlægeskoler er kvinder og minoritetsdanskere, som typisk kommer fra de større byer – og mange bliver dér, når de er færdiguddannede.

- Det er selvfølgelig helt naturligt og forståeligt, at man gerne vil arbejde tæt på sin base. Mange får også familie under studiet, og så bliver det sjældent aktuelt at flytte langt væk, siger han.

Derfor mener formanden, at en del af løsningen kan findes allerede ved optagelsen på tandlægeskolerne.

– Hvis man optager flere studerende gennem kvote 2, får man mulighed for at vælge ansøgere med en bredere geografisk baggrund. Det kunne være et vigtigt skridt mod en bedre fordeling af tandlæger i hele landet, siger Torben Schønwaldt. ¾¾

betyder meget at have nogen at spejle sig i

Inspiration fra lægeområdet

Også Steffen Damsgaard, formand for Landdistrikternes Fællesråd, deler bekymringen. Han peger på, at der er positive erfaringer fra lægeområdet, hvor uddannelse og politiske incitamenter har gjort en forskel.

- Efter at man begyndte at uddanne læger flere steder i landet, er fordelingen blevet bedre. Noget lignende kunne man overveje for tandlægeuddannelsen, siger han.

Han foreslår desuden, at det bliver obligatorisk for tandlægestuderende at komme i praktik i et yderområde under studiet.

- På den måde kan de studerende opleve, at det faktisk kan være både spændende og givende at arbejde som tandlæge på landet, siger Steffen Damsgaard.

Samtidig mener han, at man politisk bør skabe økonomiske incitamenter for tandlæger i yderområder – på linje med ordningerne for de praktiserende læger, der kan få bonusser og støtte for at etablere sig i lægedækningstruede områder.

Fællesskab og fortællinger fra landet

Men ifølge Steffen Damsgaard handler det ikke kun om økonomi. Han peger på behovet for et stærkere kollegialt fællesskab i områder, hvor der er få tandlæger.

- Man kan fx oprette fælles sundhedshuse, hvor flere sundhedsfagligheder arbejder under samme tag. Så er der altid en kollega tæt på, selvom man ikke laver det samme, siger han.

Endelig mener han, at der skal fortælles flere positive historier om livet i landdistrikterne.

- Det er mig en gåde, hvorfor folk ikke vil bo ude på landet. Der er mange spændende muligheder, og man får langt mere for pengene – både professionelt og privat, siger Steffen Damsgaard.

Luft i kalenderen og plads til grin

Knap 400 kilometer fra Arden – midt i København, kun et stenkast fra Kongens Nytorv – driver 51-årige Julie Erica Schlosser tandlægeklinikken Adenta sammen med sin mand. De har haft klinikken i snart 20 år. Klinikken huser tre tandlæger, en kæbekirurg og to tandplejere, og fra nytår får de selskab af en erfaren kollega, som har valgt at gå på retræte og tage sine patienter med sig.

Selv om hverdagen er travl, prioriterer Julie Erica Schlosser tid til luft og en snak med kollegerne.

- Vi har mange patienter, men jeg prøver at planlægge ud fra, at vi ikke skal være booket 100 %. Hvis man læg-

ger lidt luft ind, får man faktisk mere ud af dagen. Det skal være muligt at trække vejret, tage en kop kaffe og nå at lave en joke på gangen, siger hun.

Den tilgang er ikke tilfældig. For hende handler det om at skabe balance i et arbejde, der både kræver koncentration og nærvær, og som ikke giver mulighed for at “trække sig” midt i en behandling.

Det er mig en gåde, hvorfor folk ikke vil bo ude på landet

STEFFEN DAMSGAARD

Formand for Landistrikternes Fællesråd

- Det er et intenst arbejde. Man kan ikke bare gå væk fra stolen, når man mister fokus. Derfor prøver jeg at skabe rum til pauser – både for mig selv og for mit personale.

En bred patientgruppe — og høje forventninger

Klinikken har en bred patientskare. Mange er højtuddannede, sundhedsbevidste københavnere, der prioriterer forebyggelse og helhedsorienteret behandling.

- Det er en patientgruppe, der stiller høje krav og gerne vil forstå tingene i dybden. De ser ikke bare en enkelt tand, men hele tandsættet. De vil gerne vide, hvordan mundhulen hænger sammen med resten af kroppen. Det at forklare, hvordan det hele hænger sammen, er også noget, jeg bruger meget tid på, fortæller hun.

De fleste patienter kommer regelmæssigt til deres besøg, især hos tandplejerne, hvor parodontitisbehandlinger og vedligehold fylder mest. Hos tandlægerne er det i højere grad kirurgi, protetik og plastrehabilitering, der fylder kalenderen.

Et stærkt netværk og kollegialt fællesskab

For Julie Erica Schlosser er en af de største fordele ved at arbejde i byen det tætte faglige miljø.

- Jeg er virkelig glad for, at jeg har mange kolleger tæt på. Jeg har netop meldt mig ind i en erfa-gruppe med klinikker i nærområdet, hvor vi mødes flere gange om året. Vi deler erfaringer og inspirerer hinanden, fortæller hun.

Hun er også aktiv i DSOI, Dansk Selskab for Oral Implantologi, og i et netværk for kvindelige tandlæger, som hun selv var med til at starte.

- Det betyder meget at have nogen at spejle sig i. Man sidder jo meget alene som tandlæge, så netværket omkring mig betyder enormt meget. Jeg tror, jeg ville føle mig ensom, hvis jeg sad som den eneste tandlæge i en mindre by.

Når byen både giver og tager

København giver mange muligheder – men også udfordringer. For Julie Erica Schlosser står trafik og parkering øverst på minuslisten, og at alt fra husleje til reparationer koster mere.

Alligevel er det her, hun trives bedst, selv om drømmen om København ikke altid har været der. Hun kommer selv fra Flensborg, og inden valget af personlige årsager faldt på Danmarks hovedstad, var hun efter endt uddannelse i år 2000 også en tur om klinikker i Sønderborg, Haderslev og Fredericia.

Julie Erica Schlosser tror dog ikke, at glæden ved faget afhænger af postnummeret.

- Hvis jeg var blevet i Sønderborg og havde bygget det samme op dér, så tror jeg, jeg havde været lige så glad. For i sidste ende handler det jo om patienten i stolen, siger hun. ♦

Her er formanden i din region

DE ÅRLIGE GENERALFORSAMLINGER i Tandlægeforeningens regioner er blevet afholdt. Læs, hvilke udfordringer de seks formænd ser for standen lige nu, og hvor de vil lægge deres fokus som regionsformænd det næste år.

Vi skal have flere tandlæger

CHRISTIAN ROLIGGAARD (genvalgt)

UDFORDRING En af de største udfordringer, vi står overfor lige nu, er rekruttering — både når det gælder tandlæger og på det fagpolitiske område. Gennemsnitsalderen blandt de fagpolitisk aktive bliver ved med at stige, og derfor er det afgørende, at vi får flere yngre kræfter med ombord.

FOKUS Vi skal have langt større fokus på at sikre en mere ligelig fordeling af tandlæger i hele landet. Samtidig skal vi sørge for, at der bliver uddannet tilstrækkeligt mange tandlæger og specialtandlæger, så vi også på længere sigt kan dække behovet i hele Danmark.

Sammen har vi den stærkeste stemme

CHRISTINA DAM-THOLSTRUP (genvalgt)

UDFORDRING Den vigtigste udfordring er, at der skal en ny model for voksentandplejen på plads. Om det bliver i form af en overenskomst eller en aftale, og om begrebet tandkonto bliver en realitet, er mindre afgørende. Det centrale er, at den økonomiske ramme bliver udvidet, og at alle kan se sig selv i den nye model.

FOKUS Jeg vil arbejde for større medlemsinddragelse og mere engagement. Mit ønske er at samle flere kolleger under vingerne af vores fælles forening, hvor der skal være fokus på både et stærkt kollegialt netværk og faglig udvikling. Det er vigtigt, at alle ved, at arbejdet i regionsforeningerne faktisk rykker noget.

Vi skal være mere synlige

HELLE GAMST (nyvalgt)

UDFORDRING Vi har haft syv år med en særlov, men nu håber jeg, at der kommer en ordning for voksentandplejen, hvor økonomien også følger med. Det er også en udfordring, at den kommunale tandpleje er blevet tildelt fire ekstra årgange, uden at økonomien er fulgt med. Endelig kommer den nye tandlægeuddannelse på

SDU også til at få stor betydning i min region.

FOKUS Jeg vil gøre det tydeligt for medlemmerne, hvad vi laver i foreningen. Min ambition er at gøre vores hjemmeside endnu mere brugervenlig og skabe større synlighed — så vi fremstår så åbne og tilgængelige som muligt.

TEKST SOFIE SPARRE

UDFORDRING Forældede love på tandplejeområdet skaber udfordringer, hvilket blev særligt tydeligt ved vores første tilsyn fra Styrelsen for Patientsikkerhed i marts i år. Og så vokser behovet for omsorgstandpleje, efterhånden som flere ældre på Færøerne bevarer deres egne tænder.

FOKUS Vi skal færdiggøre digitaliseringen af recepter og SCOR, Sundhedsstyrelsens Centrale Odontologiske Register, i tæt samarbejde med de relevante myndigheder. Derudover ønsker jeg øget samarbejde med lokale patientforeninger for at få etableret støtteordninger svarende til dem i Danmark, især til kræftpatienter og plejekrævende grupper.

UDFORDRING Det er blevet stadig mere presserende, at vi får en ny overenskomst for voksentandplejen. Udspillet ser umiddelbart fornuftigt ud, men økonomien skal følge med, så det ikke igen ender med at blive dyrere for patienterne at gå til tandlæge. Jeg håber, at tandlægerne kommer inden for forhandlingsdørene hurtigst muligt, så vi kan få landet en god aftale.

FOKUS Vi bliver konstant mødt af nye regler og øget bureaukrati, når vi skal drive praksis — og det tager tid fra kerneopgaven. Vi må stå sammen for at få fjernet unødvendige regler og mindske bureaukratiet, så vi kan bruge tiden dér, hvor den gør mest gavn: hos patienterne.

Vi skal have mere samarbejde med lokale patientforeninger

MARKUS HVANNASTEIN (genvalgt)

UDFORDRING Tandlægeforeningens største udfordring er, at den ikke længere repræsenterer alle tandlæger. Det svækker os som samlet stand. Det er netop sammenhold, der gør stærk — og derfor skal de forskellige foreninger finde en måde at stå sammen på, så vi i fællesskab kan opnå de bedste resultater.

FOKUS I Region Sjælland har vi fokus på at inkludere alle. Derfor har vi valgt at arrangere kurser for hele klinikken — både for tandlæger og klinikassistenter. Det gør vi dels for at skabe en fælles oplevelse og dels for at give alle ny viden og faglig inspiration.

Vi må stå sammen

STEFFEN LAURITZEN (genvalgt)

Sammenhold gør stærk

HENRIK HARMSEN (genvalgt)

LOUISE HAUGE MATZEN

Uddannet tandlæge fra Aarhus Universitet i 2008

Ph.d. inden for odontologi fra Aarhus Universitet i 2013

Sektionsleder for Sektion for Oral Radiologi og Endodonti på Institut for Odontologi og Oral Sundhed på Aarhus Universitet

Lektor, underviser og forsker inden for oral radiologi

Forperson i studienævnet

Mit hjerte banker for undervisning

FOTO CHRISTIAN B. YELLOWS

Yasser Haddadi spørger:

Hvordan navigerer og prioriterer du i krydsfeltet mellem forskning, undervisning og klinisk relevans? I er i fuld gang med at forske i brugen af MR i dentale sammenhænge – hvilke muligheder giver MR-teknologien os tandlæger i praksis?

- Det er vigtigt at have et ben ude i det kliniske felt, når man underviser og være opdateret på, hvad der rører sig. Her får jeg også inspiration til forskning.

Hvilke retninger, vi skal hen i, og hvad der kan omsættes til praksis og flytte noget. Både for tandlægerne og patienterne. Indtil sidste år var det derfor en klar prioritering stadig at holde fast i klinisk arbejde i praksis.

For at være en dygtig radiolog kræver det nemlig, at man er en god allround kliniker. Man skal forstå behandlingerne for at kunne få det vigtigste ud af et røntgenbillede. Studerende lægger også mærke til, om man kan bringe forskning og teori ned på et klinisk niveau. Det virker nærværende.

Jeg har altid syntes, at jeg har det mest fabelagtige arbejdsliv. At jeg både kan beskæftige mig med praksis, forskning og undervisning. Men efter jeg blev sektionsleder på Institut for Odontologi og

Oral Sundhed på Aarhus Universitet, blev det for svært at holde alle bolde i luften og få enderne til at mødes. Så nu er jeg ikke i praksis mere.

Hvor lægger du især din energi?

- Mit hjerte har altid banket for undervisning. Tænk, at jeg kan lære andre no-

get. Det er superspændende at være med til at forme studerende og se dem rykke sig. Jeg forsøger at skabe et rum, hvor jeg roser udviklingen. Det er fejlene, vi lærer af. Jeg hører ofte mig selv spørge de studerende: ”Hvis I kunne det hele fra starten, hvorfor er I så her?”

En dygtig underviser er i mine øjne især nærværende. Og prøver at forstå, hvad de studerende har brug for. Det er også vigtigt at have en høj faglig standard. Jeg stiller høje krav til de studerende og forsøger altid at give konstruktiv feedback. Jeg bliver meget inspireret af mine dygtige kolleger, som ligesom mig selv godt kan lide dialogen med de studerende. Vi har et godt teamwork på vores sektion, hvor vi sparrer med hinanden – det sætter jeg virkelig stor pris på.

Hvordan sikrer du klinisk relevans som underviser?

- Det var klart nemmere, da jeg selv var ude i praksis, hvor det var naturligt at læse og deltage i kurser og efteruddannelse. Det skal jeg holde mig selv skarp på og aktivt opsøge nu. Jeg er heldigvis et godt sted på universitetet med kolleger, der forsker og underviser. Det er en guldgrube, jeg opsnapper meget viden fra.

Den digitale udvikling sker jo løbende, og helt konkret skal jeg til at ændre min indgang til undervisning i røntgen. Meget beror sig nu på 3D-røntgen, men med AI og den digitale udvikling skal fokus nærmere flyttes til kvaliteten af røntgenoptagelserne – og hvordan den har indflydelse på det endelige resultat, når behandlingen planlægges digitalt. Og så er der MR. Jeg tænker helt sikkert, at det er noget, vi kommer til at se meget mere af i fremtiden. På Aarhus Universitet fik vi verdens første fysiske dentale MR-scanner og er med til at udvikle MR til tandlægefaget.

Helt konkret har mine dygtige kolleger været med til at udvikle en ny og virkelig interessant metode, der er sammenlignelig med 3D-røntgen. Den afgørende forskel er, at der ikke er røntgenstråler, og at man kan visualisere blødtvæv. Så man kan vise ting, man ikke kan se på røntgen, fx nerver og muskler. MR kan også visualisere en inflammationsproces, som man heller ikke kan på røntgen. Det vurderes som særligt interessant inden for endodontisk diagnostik.

Har du et kvalificeret gæt på, hvornår det kommer ud i praksis?

- Det er ikke lige om hjørnet. Måske om ti år – det er svært at sige. Det er dyrt og skal være rentabelt på en klinik. Og klinikkerne er ikke indrettet til det. Et bud kunne være, at det først kommer ud på de kæbekirurgiske afdelinger på hospitalerne.

Samtidig er det noget helt andet at se på MR end på røntgen, så det er noget, der først skal inkorporeres på uddannelserne. Og det ligger længere ude i fremtiden. I dag bliver de studerende bare introduceret for, at det findes. En mulighed kan være, at patienter i første omgang kan henvises til os i Aarhus. Det behøver ikke være langt ude i fremtiden.

Hvem vil du give stafetten videre til og hvorfor?

- Mia Portz Johannsen skiftede for et par år siden privat praksis ud med Styrelsen for Patientklager. Jeg er nysgerrig på dem, der bruger uddannelsen til at gå i andre retninger.

Louise Hauge Matzen spørger:

Hvad motiverede dig til at undersøge mulighederne for at arbejde som tandlæge i et andet regi end det kliniske? Hvordan holder du dig opdateret inden for alle de odontologiske fagområder, hvilket jeg antager er nødvendigt for at bestride dit job? ♦

I fagstafetten går vi tæt på en tandlæge med en helt særlig drive og passion for sit fag. Månedens tandlæge sender fagstafetten videre til en kollega, der har været en inspiration for ham eller hende.

navne

FYLDER DU RUNDT?

Hvis du ønsker din fødselsdag offentliggjort i Tandlægebladet, skal du give samtykke til det.

Det kan du gøre ved at logge ind på Tdlnet.dk dk → vælg ”mine sider” → vælg ”personlige oplysninger” → vælg ”mine samtykker”

Hvis du har spørgsmål, kan du kontakte medlemsregistreringen på e-mail medlemsregistrering@tdl.dk

Fødselsdage 19/11-16/12 2025

30

Parya Jaberi Jahromi, Tilst, 12. december

40

Trine Sommer, Vejle Øst, 19. november

50

Isabelle Klit Madsen, Horsens, 23. november

Aleksandra Bogdanovic, København SV, 24. november

Sofie Mette Sodelius Lindberg, Gentofte, 1. december

Brit Frydenlund Engelsbæk, Vestbjerg, 5. december

Diana Mortensen, Frederiksberg, 7. december

Tim Whitte Dam Mikkelsen, Hellerup, 10. december

60

Saad Rasoul Fadhl, Esbjerg Ø, 20. november

Morten H Hjejle Jensen, Næstved, 25. november

Natalia Irina Lyhne Bæk, Fredensborg, 26. november

Unn Jakobsen, Tórshavn, 27. november

Lene Ulvedal Hansen, Nykøbing Sj, 2. december

Charlotte Follin, Søborg, 2. december

Lene Marie Kristensen, Bramming, 9. december

Ziba Chehreh Kavian Jahromi, Nærum, 9. december

70

John Orloff, Kongens Lyngby, 22. november

Ingrid Larsen, Vörde, 12. december

75

Marianne Juel Riis, København Ø, 1. december

95

Bente Rau Vium, Værløse, 14. december

Dødsfald

† Karen Albrecht Svare Fødselsår: 1949, kandidatår: 1975 Afgået ved døden 22. oktober 2025

Mindeord

Lone Lenes, Gentofte, in memoriam

Født den 12. januar 1961. Død den 14. oktober 2025.

DET ER MED STOR SORG, at jeg skriver disse ord: Lone er her ikke mere. Det blev

Lones skæbne at blive alvorligt syg af kræft. Med oprejst pande tog hun kampene op, udviste enorm styrke og livsvilje, men da kroppen ikke kunne mere, måtte Lone give op og fik fred.

Siden tandlægestudiet har vi fulgtes ad, vi sang med i julerevyen 1984 og har lige siden været veninder.

At Lone ikke længere er hos os, forekommer uvirkeligt og uendelig trist. Hun var altid livlig, optimistisk og havde et helt specielt gåpåmod.

Efter studietiden arbejdede Lone først i Forsvaret og derefter som klinisk lærer på Tandlægeskolen i København samt tandlæge i privat praksis. Et stillingsopslag fra Colgate ændrede imidlertid Lones arbejdsliv. Hun var nysgerrig efter at arbejde med marketing og gerne internationalt, så stillingen lokkede. Med stor dygtighed, engagement og mod gjorde hun en imponerende karriere som Professional Manager med ansvar først for Norden

og senere også for England. Kontakt til tandlægeskolerne, rejser til ind- og udland og læsning af videnskabelige artikler, som blev omsat til fagligheden hos Colgate, blev, blandt mange andre spændende opgaver, hendes arbejdsliv. Lone blev “firmaets kvinde” og kendt af rigtig mange årgange af tandlæger.

Lone var også meget mere og andet end sit arbejdehun var en stor personlighed, som rummede så meget godt, livlig og inspirerende. Hun havde gerne en god bog eller film at anbefale og viste stor interesse for verden omkring sig.

Lone havde stor kærlighed til sin mand Ola, sin søn Nicolai og deres lille hund Scooter. Hun elskede deres fælles rejser, nød deres dejlige hytte på “fjeldet” i Norge, men glemte aldrig de daglige opkald til sin gamle mor derhjemme.

Mine tanker går til Lones nære, som efterlades med det største tab af alle: hendes mand Ola, deres søn Nicolai og hendes mor Bende.

Til evighed vil Lone være savnet.

Kærligst, Birgitte Rosman, specialtandlæge i ortodonti

Send en smuk buket – og støt bedre tandpleje i udsatte områder.

Når du vælger en DHWB x Flowering-buket, går 35 kr. direkte til det gode formål.

Perfekt til klinikken, receptionen eller som en ansvarlig firmagave.

Vælg enkeltkøb eller abonnement – og spred både glæde og sundhed.

Scan QR koden og bestille i dag.

Tandlægeforeningen uddeler skolarstipendier til forskning i mundsygdomme

TO TANDLÆGESTUDERENDE er hver blevet tildelt et skolarstipendium på 186.000 kroner fra Tandlægeforeningen. Stipendierne går til deres forskningsprojekter.

Forskere på fuld tid. Det kan to tandlægestuderende fra Aarhus Universitet nu kalde sig det næste års tid. Abas Jafari og Simon Filip Pascu har hver modtaget Tandlægeforeningens skolarstipendium på 186.000 kroner til projekter, der skal styrke forståelsen af to udbredte mundsygdomme.

Abas Jafari, der kom til Danmark som otteårig og er vokset op i Sønderborg, undersøger sygdommen Burning Mouth Syndrome (BMS), som især rammer kvinder i overgangsalderen. Sygdommen kan give brændende smerter i munden og påvirke smagssansen, men årsagen er stadig ukendt. Abas Jafari vil derfor undersøge, om ændringer i smagssansen kan bruges som et diagnostisk værktøj. – Sygdommen kan være meget generende og gå ud over livskvaliteten, og nogle går rundt med den i 20 år. Jeg håber derfor, at mit projekt kan bidrage til en bedre forståelse af lidelsen og smagssansens betydning, så vi på sigt kan udvikle mere målrettede behandlinger, fortæller Abas Jafari.

Også Simon Filip Pascu fra Grindsted får mulighed for at fordybe sig i forskning. Han vil undersøge caries – verdens mest udbredte ikke-smitsomme sygdom. I stedet for at fokusere på bakterierne,

som meget forskning tidligere har gjort, vil Simon Filip Pascu undersøge den slim, der omgiver bakterier i plak – den såkaldte ekstracellulære matrix – og udforske, hvilke kulhydratkomponenter i denne slim, der kan bidrage til udviklingen af caries.

– Jeg blev rigtig glad og taknemmelig, da jeg modtog nyheden om, at jeg havde fået stipendiet. Det er et kæmpe privilegium at få lov til at fordybe sig i et bestemt emne i et helt år, siger Simon Filip Pascu.

Begge studerende har været i gang med deres projekter siden september 2025.

De modtog stipendierne af Tandlægeforeningens formand, Torben Schønwaldt, ved årets Symposium i Aalborg den 7. november, hvor små 1.000 tandlæger var samlet.♦

TEKST CHARLOTTE HOLST FOTO CATHRINE ERTMANN

Professionel

investeringsrådgivning – spar 2.400 kr. om året

Maj Invest Bank tilbyder tandlæger en enkel og professionel løsning til opsparing og investering – så du kan bruge mere tid på klinikken.

Dine fordele som tandlæge:

Egen investeringsrådgiver – skræddersyet sparring og rådgivning ud fra din risikoprofil.

Gennemsigtige priser – som medlem af Tandlægeforeningen sparer du 2.400 kr. om året.

Attraktiv opsparingskonto – høj rente på alle indlån uden binding.

Helhedsorienteret rådgivning – vi dækker både erhverv, VSO, pension og frie midler.

Gratis pensionstjek – få gennemgået dine nuværende investeringer og omkostninger.

Lad os skabe langsigtet værdi, mens du koncentrerer dig om patienterne.

Kontakt os på telefon 33 38 97 00 eller info@majbank.dk. majinvestbank.dk

Dette er markedsføring af Maj Invest Bank A/S, CVR-nr. 36 08 59 16. Denne annonce er ikke tilpasset dine personlige forhold eller behov og kan derfor ikke betragtes som investeringsrådgivning eller individuel rådgivning. Historiske afkast er ingen garanti for fremtidige afkast, og alle investeringer medfører risiko for tab.

kollegahjælp

TANDLÆGEFORENINGENS KOLLEGAHJÆLP formidler gratis og anonym hjælp til medlemmer i krise.

Region Hovedstaden

Marie Winding Turpinsvej 2

2605 Brøndby

Tlf. 36 75 48 75

Region Sjælland

Thomas Hjorth Platanvej 1

4684 Holmegaard

Tlf. 55 54 64 49 – 42 70 05 00

Louise Vilhelmsdal Søndergade 10

4800 Nykøbing F.

Tlf. 54 86 00 86 – 22 93 85 11

Region Syddanmark

Michael Rasmussen Gl. Vardevej 191 6715 Esbjerg N

E-mail:

mr.mr.rasmussen@gmail.com

Tlf. 75 13 75 13

Helle Gamst Skov Torvet 3, 6100 Haderslev helle@gamst-skov.dk

Tlf. 74 52 28 02

Region Midtjylland

Tina El-Dabagh

Tordenskjoldsgade 37, 1. th 8200 Århus N

E-mail: tinaeldabagh@hotmail.com

Tlf. 86 16 85 10 – 61 71 36 89

Region Nordjylland

Majbritt Jensen Strandvejen 3 9000 Aalborg Tlf. 20 77 32 66

Tandlægeforeningen Region Grønland

Karen Haarbo-Nygaard Tuapannguit 40 3900 Nuuk

E-mail: karenhaarbo@yahoo.com

Tlf. (+299) 547373

TandlægeTryghed

Britt Betina Jørgensen Svanemøllevej 85 2900 Hellerup

Tlf. 39 46 00 80

Ved alkohol- og misbrugsproblemer

Halsnæs Alkoholambulatorium

Ambulatorieleder

Charlotte H. Seidler

Tlf. 28 59 02 08

Psykologhjælp

Erhvervspsykologisk Rådgivning v/erhvervspsykolog

Majken Blom Søefeldt Kontakt TandlægeTryghed på: Tlf. 39 46 00 80

Mail: dagpenge@tdlt.dk

kollegiale henvisninger

Henvendelse angående kollegiale henvisninger

Tina Andersen, tlf. 33 48 77 33, e-mail: ta@tdl.dk

Pris: kr. 39,00 pr. mm + moms pr. gang.

Annoncer tegnes for 12 numre (1 år ad gangen).

Der faktureres for et halvt år ad gangen i juni måned og i december måned.

Tandlægeforeningen påtager sig ikke ansvar for om kolleger, der annoncerer under kollegiale henvisninger, besidder de fornødne kvalifikationer.

Annoncering under kollegiale henvisninger er forbeholdt medlemmer af Tandlægeforeningen.

Adipositas

Tandklinikken Ravn

• Behandling af overvægtige patienter op til 350 kg. Patienterne kan køres ind, men skal kunne gå de sidste 4 m til stolen

• Handicapvenlig parkering og indgang

Strøby Egede Center 15 4600 Køge

Tlf. 56 26 72 77 www.tandklinikkenravn.dk

Behandlingscentre

Hausergaarden I/S

Specialuddannede tandlæger

Hauser Plads 20, 2 (elevator) 1127 København K v/Nørreport Station

Tlf. 33 15 15 34 info@hausergaarden.dk www.hausergaarden.dk

• Endodonti * komplicerede

• Implantologi * Komplikationer

• Kirurgi * Knogle-opbygning

• Æstetik * Rekonstruktioner

• Protetik * Narkose

John Orloff

Dip. Imp Dent Adv RCS (Eng)

Jens Kristiansen

MSc Endo KCL (Eng)

Adam Gade Ellesøe

MSc Imp Dent (URJC)

TBT - www.tbt.dk klinik@tbt.dk

Tlf. 38 60 20 20

• Invisalign

• Kosmetisk makeover

• Implantologi

• Bidrehabilitering

Bidfunktion Jylland

Brædstrup Implantatcenter

Birgitte Skadborg Tlf. 75 75 12 36 www.implantatcenter.dk Bidfunktion og oral bidrehabilitering

Tømmergårdens Tandlæger

Steen Rosby

Stationsvej 1, 6880 Tarm Tlf. 97 37 15 15 info@rokketand.dk

• Behandling af funktionelle lidelser i tyggeorganet.

Sjælland

Stylvig

H.C. Ørsteds Vej 50C 1879 Frederiksberg C Tlf. 33 24 85 85 forum@tandlaegen.dk

Tandlægen.dk – Greve

Anders Vilmann, ph.d. Tlf. 43 43 98 98 greve@tandlaegen.dk

Tandlæge Katharina Axtmann

Farum Hovedgade 15, 1. Tlf. 31 72 83 56 Info@axtmann.dk

Tandlæge Betina Grønbæk ApS

Betina Grønbæk Stjernegade 22 1 tv

3000 Helsingør Tlf. 49 21 99 60 info@stjernegade22.dk

Dental og maksillofacial radiologi

Tandlægerne Fyrvej, Esbjerg CBCT-scan og panorama Tandlægerne Fyrvej Fyrvej 26 6710 Esbjerg V Tlf.: 75 15 06 00 www.fyrvej.dk

Aarhus Tandlægeskole

• CBCT og panorama-undersøgelse Henvisning og prisliste på dent.au.dk/tandlaegeskolen/forfagfolk

SpecialTandlægeCenter Gentofte v/ specialtandlæge Pernille Egdø

• Implantater, knogleopbygning, amotio, rodresektion, autotransplantation

• Panorama/OTP CBCT/3D Baunegårdsvej 7 L, 2820 Gentofte Tlf. 39 64 65 14 www.kaebekirurg.dk pernille@kaebekirurg.dk

Specialtandlægerne

v. Søren Schou, Aarhus

• Panorama og CBCT (3D), inkl. beskrivelse af Hanne Hintze og Lars Bo Petersen www.sptand.dk

Tandlægeskolen

Afd. for Radiologi

• Panorama og kranieoptagelser samt Cone-Beam scanning. (spec. implantatbehandling og kæbeled)

Henvisningsblanket hentes på http://odont.ku.dk/specialklinik/radiologi/henvisn_rtg/ og faxes eller sendes til afdelingen. Nørre Allé 20, 2200 Kbh. N. Tlf. 35 32 69 05/Fax 35 32 67 73

NORD Specialtandlæger Kongens Lyngby

Henvisningsklinik Kirurgi, implantologi, Endodonti, Protetik, Parodontologi & Oral medicin.

Klampenborgvej 221, 2. sal 2800 Kongens Lyngby

Tlf. 88 88 80 00 www.nord.dk

Tandlægen.dk Bagsværd

Bagsværd Hovedgade 99, 1. sal, 2880 Bagsværd Tlf. 44 98 34 20

Implantater

Fyn

Centrum Tandlægerne

Odense og Middelfart

B. Pade

N. Pade

Tlf. 66 12 62 26 – 64 40 24 03

• Implantater, protetik, kirurgi. www.centrumtandlaegerne.dk

Oris Tandlægerne

Slotsgade 21, 5000 Odense C Tlf. 66 11 44 33 slotsgade21@oris.dk

• Panoramarøntgen

• CBCT (3D)

Jylland

Brædstrup Implantat

Center

John Jensen

Jens Hartlev

Kristoffer Schwartz

Martin Saaby

Birgitte Skadborg

• Implantologi, kirurgi, narkose

• Protetiske rekonstruktioner

• 3D scanning Tinghuspladsen 6 8740 Brædstrup Tlf. 75 75 12 36 E-mail: tandlaegehuset@ implantatcenter.dk www.implantatcenter.dk

Herning Implantat Center

Louise Kold & Simon Kold Bryggergade 10 7400 Herning Tlf. 97 12 03 99 www.herningimplantatcenter.dk

• Kirurgi og protetik.

• Mulighed for narkose

Kolding Implantat Center

Jens Thorn, specialtandlæge

Henrik Hedegaard

ORIS Tandlægerne Kolding Banegårdspladsen 9

6000 Kolding Tlf. 81 18 81 18 www.ORIS.dk/kolding

• Kirurgi og protetik

Tandlægerne Fyrvej Specialtandlæge

Kristian Thesbjerg Fyrvej 26

6710 Esbjerg V Tlf. 75 15 06 00 rtg@fyrvej.dk www.fyrvej.dk

Bredt Smil Haderslev

Puk Bergmann

Nørregade 11

6100 Haderslev

Tlf. 74 52 22 49 6100@bredtsmil.dk

dinTANDLÆGE Brande

Torben Lillie

• Immediat implantologi

• Kirurgi og protetik

Torvegade 8

7330 Brande

Tlf. 97 18 00 79 www.dintandlaege-brande.dk brandetand@brandetand.dk

Risskov Implantatklinik

– Tandlægerne Risskov v/Ulrik Holm-Christoffersen MSc. Impl.

Immediat implantologi. Blødvævskirurgi

• Implantater, knogleopbygning, Amotio, Retrograd.

• Straumann, Nobel, Ankylos, Astra.

Rolighedsvej 30, Risskov.

Tlf. 70 70 55 25 info@tandlaegernerisskov.dk

Aarhus C

Thomas Guldborg

Klostergade 56, 8000 Aarhus C Henvisning via EDI Straumann & Astra Kirurgi & Protetik

Dento-alveolær kir.

EAO Master Diploma Impl.

Sjælland

Tandlægen.dk Roskilde

Maziar Talaeipour

Algade 52, 1., 4000 Roskilde Tlf. 46 35 33 13

• www.tandlaegen.dk/Roskilde

Klinikken Vestergade

- specialtandlæger i kæbekirurgi Jesper Jared Secher, specialtandlæge, Ph.d. Jesper Bak, specialtandlæge Andreas Riis, specialisttandläkare i endodonti

Obels Gaard, Vestergade 2 1456 København K Tlf. 33 15 48 99 www.klinikkenvestergade.dk

SpecialTandlægeCenter

Gentofte v/ specialtandlæge

Pernille Egdø

• Implantater, knogleopbygning, amotio, rodresektion, autotransplantation

• Panorama/OTP CBCT/3D Baunegårdsvej 7 L, 2820 Gentofte Tlf. 39 64 65 14 www.kaebekirurg.dk pernille@kaebekirurg.dk

Specialtandlægerne Bredgade Specialtandlæge Lars Pallesen www.bredgade.dk eller info@bredgade.dk Knogle- og blødtvæv. Enkelttand, bro, fuldkæbe. Narkose

Specialtandlægerne i kæbekirurgi i Lyngby

Thomas Kofod ph.d. Ole Schwartz ph.d.

Niels Ulrich Hermund ph.d Rasmus Kuniss-Kriegbaum

Even Nisja

• Alt indenfor tand,- mund,- og kæbekirurgi

• De fleste typer implantater og rekonstruktioner. tandlægen.dk

Lyngby & Implantatcenter

Lyngby Hovedgade 27, 3. sal 2800 Kgs. Lyngby

Send henvisning over ediportalen 45870190 eller henvisningsblanket på hjemmesiden: https://tandlaegen.dk/lyngby/ lyngby-hovedgade/henvisning/

NORD Specialtandlæger

Kongens Lyngby

Henvisningsklinik

Kirurgi, implantologi, Endodonti, Protetik, Parodontologi & Oral medicin.

Klampenborgvej 221, 2. sal 2800 Kongens Lyngby

Tlf: 88 88 80 00 www.nord.dk

Kirurgi

Klinik for Kæbekirurgi, Odense

Implantat, kæbekirurgi, narkose

Torben Thygesen

Gregory Tour 50 65 62 66 www.klinik-vs15.dk

Tandlægen.dk, Centrum Odense

Peter Marker

Specialtandlæge

Grønnegade 16, 5000 Odense C Tlf 66 12 62 26

Mail: centrum-odense@tandlaegen.dk www.tandlaegen.dk/klinikker/ odense-centrum/forside Kirurgi, implantater, narkose

Tre Margueritter Tandlægeklinik

Specialtandlæge

Sodaba Ghawsi-Vestergaard Tlf. 66 11 14 44 www.tremargueritter.dk

Jylland

Brædstrup Implantat Center

John Jensen

Jens Hartlev

Kristoffer Schwartz

Martin Saaby

Tinghuspladsen 6

8740 Brædstrup Tlf. 75 75 12 36 www.implantatcenter.dk

Oris Tandlægerne

Kolding Specialtandlæge, ph.d. Jens Thorn

Banegårdspladsen 9 6000 Kolding Tlf. 81 18 81 18

Mail. Kolding@oris.dk

Kirurgiklinik

Hermodsvej 22, Åbyhøj Tlf.: 70 22 35 53 www.kirurgiklinik.dk

Tandlægerne Fyrvej Specialtandlæge

Kristian Thesbjerg Fyrvej 26, 6710 Esbjerg V Tlf. 75 15 06 00 rtg@fyrvej.dk www.fyrvej.dk

Tandlægerne Silkeborgvej 297 Specialtandlæge

Lambros Kostopoulos

• Implantatbehandling samt knogleopbygning med membran.

• Rekonstruktiv knogle- og blødtvævskirurgi. Behandling af periimplantitis

Silkeborgvej 297, 8230 Åbyhøj Tlf. 86 15 43 44

Tandlægerne Kold

Louise Kold

Simon Kold

Bryggergade 10 7400 Herning Tlf. 97 12 03 99 www.tandherning.dk

E-mail: post@tandherning.dk

• Mulighed for narkose

Specialtandlægerne v. Søren Schou, Aarhus

• Oral kirurgi og implantater, inkl. narkose

Søren Schou, dr.odont. Helle B. Nielsen, ph.d.

Karen J. Nissen

Ole Möbes Otto Schmidt www.sptand.dk

Sjælland

SpecialTandlægeCenter

Gentofte v/ specialtandlæge

Pernille Egdø

• Implantater, knogleopbygning, amotio, rodresektion, autotransplantation

• Panorama/OTP CBCT/3D Baunegårdsvej 7 L, 2820 Gentofte Tlf. 39 64 65 14 www.kaebekirurg.dk pernille@kaebekirurg.dk

Specialtandlægerne Sjælland, Solrød ApS v/ Tore Lefolii og Morten Dahl Solrød Center 45, 1. 2680 Solrød Strand Tlf. 56 16 75 00 www.spsj.dk

TMK-kirurgi og implantatbeh. Kirurgi på børn og unge med fokus på ortodonti

Klinikken Vestergade - specialtandlæger i kæbekirurgi Jesper Jared Secher, specialtandlæge, Ph.d. Jesper Bak, specialtandlæge Andreas Riis, specialisttandläkare i endodonti

Obels Gaard, Vestergade 2 1456 København K Tlf. 33 15 48 99 www.klinikkenvestergade.dk

Specialtandlægerne Bredgade www.bredgade.dk eller info@bredgade.dk

Klinik for Kirurgi og Endodonti

Vibe Rud

Thomas Foldberg

Puggaardsgade 17, st. 1573 København V Tlf. 33 14 83 86

Online henvisning via www.endokir.dk

Specialtandlægerne Sjælland København, Roskilde, Kalundborg

• Dentoalveolær kirurgi

• Oral rehabilitering

Specialtandlæger i Tand-, Mund- og Kæbekirurgi:

• Tore Tranberg Lefolii

• Simon Storgård Jensen, dr.odont

• Jesper Øland Petersen, ph.d

• Libana Raffoul Bjørnstrup

• Karoline Brørup Marcussen

• Even Nisja

Protetikere:

• Klaus Gotfredsen, dr. og lic.odont

• Brian Møller Andersen www.spsj.dk

E-mail: klinik@spsj.dk

Tlf. 70 22 52 30

Specialtandlægerne i kæbekirurgi i Lyngby

Thomas Kofod ph.d.

Ole Schwartz ph.d.

Niels Ulrich Hermund ph.d

Rasmus Kuniss-Kriegbaum Even Nisja

• Alt indenfor tand,- mund,- og kæbekirurgi

• De fleste typer implantater og rekonstruktioner.

tandlægen.dk

Lyngby & Implantatcenter Lyngby Hovedgade 27, 3. sal 2800 Kgs. Lyngby Send henvisning over ediportalen 45870190 eller henvisningsblanket på hjemmesiden: https://tandlaegen.dk/klinikker/ lyngby-implantatcenter/ specialtandlaeger

NORD Specialtandlæger Kongens Lyngby Henvisningsklinik

Kirurgi, implantologi, Endodonti, Protetik, Parodontologi & Oral medicin.

Klampenborgvej 221, 2. sal 2800 Kongens Lyngby Tlf: 88 88 80 00 www.nord.dk

Specialtandlæge i tand-, mund og kæbekirurgi

Rannvá Matras, PLUS1 Tandlægeklinik Kbh v. Tivoli og Rødovre Centrum Tlf. 36 70 76 00 www.plus1.dk/henvisning

Narkose

Fyn

Centrum Tandlægerne

Danmarks Implantatcenter

Odense klinikken

Tlf. 66 12 62 26 info@centrumtandlaegerne.dk

Middelfart klinikken

Tlf. 64 40 24 03 middelfart@ centrumtandlaegerne.dk www.centrumtandlaegerne.dk

Jylland

Brædstrup Implantat Center

Tlf. 75 75 12 36 www.implantatcenter.dk

Tandlægerne Kold

Louise Kold

Simon Kold Bryggergade 10

7400 Herning

Tlf. 97 12 03 99

E-mail: post@tandherning.dk

• Patienter modtages til behandling i narkose. Alm. tandbehandling, kirurgi og implantatbehandling.

Centrum Tandlægerne

Danmarks Implantatcenter

Aarhus klinikken

Tlf.: 86 13 26 36 aarhus@centrumtandlaegerne.dk www.centrumtandlaegerne.dk

Tandlægerne Fyrvej Fyrvej 26

6710 Esbjerg V Tlf. 75 15 06 00 rtg@fyrvej.dk www.fyrvej .dk

Patienter modtages til behandling i narkose. Alm tandbehandling, kirurgi og implantatbehandling

Sjælland

Specialtandlægerne Sjælland, Solrød ApS v/ Tore Lefolii og Morten Dahl Solrød Center 45, 1. 2680 Solrød Strand

Tlf. 56 16 75 00 www.spsj.dk

• TMK-kirurgi og implantatbeh.

• Kirurgi på børn og unge med fokus på ortodonti

Tandlægecentret Svanen v/tandlæge Per Bjørndal Lyngby Hovedgade 27, 4. 2800 Lyngby

Tlf. 45 88 96 88/Fax 45 88 91 69 www.svanetand.dk

Tandlægerne i Carlsro Tårnvej 219 2610 Rødovre

Tlf. 36 70 31 67 www.carlsrotand.dk

Tandlægen.dk Hundige Strandvej Hundige Strandvej 182

2670 Greve

Tlf. 43 90 15 15 hundigestrandvej182@tandlaegen.dk

Alle former for behandling tilbydes.

NORD Specialtandlæger Kongens Lyngby

Henvisningsklinik med anæstesi team til GA og IV-sedation. Kirurgi, implantologi, Endodonti, Protetik, Parodontologi & Oral medicin.

Klampenborgvej 221, 2. sal

2800 Kongens Lyngby

Tlf: 88 88 80 00 www.nord.dk

Odontofobi

Maj-Britt Liliendahl

Højbro Plads 5, 2. sal

1200 København K

Tlf. 33 12 14 38

Oral Medicin og Patologi

NORD Specialtandlæger

Camilla Kragelund, Tandlæge ph.d. Udredning, diagnostik og tværfagligt samarbejde.

Henvisning af patienter med oral medicinske problemer fx symptomer som smerter, svien, brænden og tørhed eller kliniske forandringer som farveændringer, sår, blærer eller vævsforøgelser.

Klampenborgvej 221, 2. sal

2800 Kongens Lyngby

Tlf. 88 88 80 00 www.nord.dk

Ortodonti

Jylland

Tandregulering

Ane Falstie Juul

Nørgårds Allé 11, 1. 7400 Herning

Tlf. 97 12 59 00

• Specialtandlæge i ortodonti

Brædstrup Implantatcenter

Carsten Lemor Tlf. 75 75 12 36 www.implantatcenter.dk

Specialtandlægerne

Aarhus Tandregulering

Morten G. Laursen

Janne Grønhøj

Susanna Botticelli

Frederiks Allé 93

8000 Aarhus C Tlf 86 12 17 66 mail@specialtandlaeger.dk www.specialtandlaeger.dk

Tandreguleringshuset

Kim Carlsson

Jens Kragskov

• Specialtandlæger i ortodonti Jyllandsgade 79 C, 1. sal

6700 Esbjerg Tlf. 76 13 14 80

Tandreguleringsklinikken

Lisbeth Nielsen, Specialtandlæge, ph.d.

Christian Iversen, Specialtandlæge Tandreguleringsklinikken

Toldboden 1, 5C 8800 Viborg

Tlf. 86 62 76 88

• Specialtandlæge i ortodonti post@tandreguleringsklinikken.dk www.tandreguleringsklinikken.dk

Specialtandlægecenter

Vestjylland

Søren Povlsen

Stationsvej 35a

7500 Holstebro Tlf. 97 84 05 88 www.tandregulering.com

• Specialtandlæge i ortodonti

Sjælland

Specialklinik for Tandregulering

• Specialtandlæge i Ortodonti

Aida Basic

Hauser plads 20, 2. sal 1127 København K Tlf. 33 93 07 23 www.tandregulering.info

Specialtandlæge i Holte

• Specialtandlæge i ortodonti

Lone Møller

Holte Stationsvej 6, 1. sal, 2840 Holte

Tlf. 45 42 16 88 www.holtetandreguleringsklinik.dk

Specialtandlægerne

Specialtandlæger i ortodonti

Michael Holmqvist

Rosenborggade 3, 1. 1130 København K Tlf. 33 12 32 12 orto@specialtandlaegerne.dk

Specialtandlægerne i Roskilde

• Specialtandlæger i ortodonti

Søren Wiborg Lauesen Jens Fog Lomholt Ringstedvej 18, 2. th. 4000 Roskilde Tlf. 46 36 50 33 www.specialtandlaegerne.com

Tandlægen.dk Hundige Strandvej Specialtandlæge Glen Happel Hundige Strandvej 182 2670 Greve Tlf. 43 90 15 15 hundigestrandvej182@tandlaegen.dk

Parodontalbehandling

Fyn

Oris Tandlægerne

Det Gule Pakhus

Mette Rylev, ph.d. Havnepladsen 3b 5700 Svendborg Tlf. 62 21 20 09 E-mail: detgulepakhus@oris.dk www.oris.dk/svendborg

Jylland

Brædstrup Implantat Center

Camilla Kristensen Tlf. 75 75 12 36 www.implantatcenter.dk

Tandlægerne Store Torv

Lone Sander, ph.d.

Mette Rylev, ph.d.

Mette Kjeldsen, ph.d. Björn Emil Neumann

Iris Möbes Tlf. 86 12 73 50 http://tdl-storetorv.dk

Tandlægerne Aarhus Ø Anders Heide

Rodrigo López, ph.d., dr.odont. Esther Aggebos Gade 2 8000 Aarhus C Tlf. 73 70 85 00 t@ndlæge.dk

Sjælland

Københavns Paradentoseog Implantat Klinik

Marianne Hoffmeyer, M.S., Diplomate Board Certified Periodontist (USA) Strøget, Kbh K. Tlf. 33 13 66 60 www.strogettand.dk

Tandlægen.dk Roskilde

Maziar Talaeipour

-Parodontal kirurgi bla. regenerativ behandling

-Mikro kirurgi (paradontal plastikkirurgi)

-Behandling af periimplantitis

Algade 52, 1., 4000 Roskilde Tlf. 46 35 33 13 www.tandlaegen.dk/Roskilde

Colosseum Tandlægerne Rosenborggade København Rosenborggade 3, 2. 1130 København Tlf. 33 11 39 66

E-mail: noerreport@colosseumklinikken.dk www.colosseumklinikken.dk

Tandklinikken Ravn

Nørregade 9 og Strøby Egede Center 15 4600 Køge

Tlf. 56 65 25 09 – 56 26 72 77 www.tandklinikkenravn.dk

Specialtandlægerne Bredgade

Christian Damgaard, ph.d. www.bredgade.dk eller info@bredgade.dk

Parodontitis, peri-implantitis, regenerativ parodontalkirurgi, CBCT, narkose

Nord Specialtandlæger

Daniel Midjord-Belstrøm, dr. odont, ph.d.

Diagnostik og parodontalkirurgi Henvisningsklinik med anæstesi team til GA og IV-sadation. Kirurgi, implantologi, Endodonti, Protetik, Parodontologi & Oral medicin.

Klampenborgvej 221, 2. sal 2800 Kongens Lyngby Tlf: 88 88 80 00 www.nord.dk

Tandlæge Maria Mejsig Justesen Parodontalkirurgi og regenerativ behandling Borupvang 3C, Ballerup Tlf. 36 70 76 00 mj@plus1.dk

Protetik

ORIS Tandlægerne

Steen Bjergegaard

Slotsgade 21, 5000 Odense C Tlf. 66 11 44 33 slotsgade21@oris.dk

• Fast protetik, inkl. implantatforankret protetik

Rodbehandling

Brædstrup Implantatcenter

Christian Dalby Tlf. 75 75 12 36 www.implantatcenter.dk

Tandlægen.dk Bagsværd

• Endodonti

Christian Bruun Møller Bagsværd Hovedgade 99, 1. sal, 2880 Bagsværd Tlf. 44 98 34 20 Mail: bagsvaerd@tandlaegen.dk www.tandlaegen.dk/bagsværd

Colosseum Tandlægerne Kongensgade Odense Kongensgade 54

5000 Odense Tlf. 66 11 67 01 odense@colosseumklinikken.dk Ref. Kirsten Rysgaard

Vesterbro TandlægeCenter

Niels Bruun

Kasper Bruun

Vesterbrogade 10, 2.tv 1620 København V Tlf.: 33 24 79 33 info@vesterbrotandcenter.dk

Tandlægen.dk Allerød • Udelukkende endodonti

Younes Alipanah Torvestrædet 27 3450 Allerød Tlf. 48 17 24 25 j.buchgreitz@gmail.com

Tandlægen.dk Bagsværd

• Retrograd endodonti

Jens Tang

Bagsværd Hovedgade 99, 1. sal. 2880 Bagsværd Tlf. 44 98 34 20

Mail: bagsvaerd@tandlaegen.dk www.tandlaegen.dk/bagsværd

RodbehandlingsCenter.dk v/ Thomas Harnung

Vester Farimagsgade 1, 3. sal. 1606 København V www.endo-henvisning.dk Tlf. 44 44 44 11

Tandlægerne Fyrvej

Søren Grønlund Fyrvej 26 6710 Esbjerg V Tlf: 75 15 06 00 rtg@fyrvej.dk www.fyrvej.dk

Tandlægerne Hedegaard & Kjærgaard

Thomas Hedegaard Storegade 3, 8382 Hinnerup Tlf. 86 98 56 26

E-mail: henvisning@storegade3.dk www.storegade3.dk

• Ortograd og kirurgisk endodonti

Colosseum Tandlægerne Slotsgade Odense

Anders Burgaard Slotsgade 18

5000 Odense C Tlf.: 66 11 96 46

Henvisninger: EDI: Tandlæge Anders Burgaard ApS Sikkermail: ab@slotsgade18.dk

Risskov Tandklinik

Mads Juul Dybbølvej 25, 8240 Risskov Tlf. 86 17 83 22 Henvisning modtages via EDI www.risskovtand.dk

Specialtandlægerne Bredgade www.bredgade.dk eller info@bredgade.dk Mikroskopvejledt endo, stiftopbygning ifm. endodonti, CBCT, narkose

Tandlægen.dk – Greve

• Endodonti

Anders Vilmann, ph.d. Tlf. 43 43 98 98 greve@tandlaegen.dk

Tandlægerne Rådhusstrædet Mads Bojer Rådhusstrædet 12A, 7430 Ikast E-mail: mads@tandikast.dk

Tandlægerne i Støden, Kasper Holm Busk Støden 6, st., 4000 Roskilde Tlf. 46 36 64 00 info@tandlaegerneistoden.dk

NORD Specialtandlæger

Kongens Lyngby

Younes Alipanah, Msc i endodonti

Sune Demant, ph.d. og Msc i endodonti

Henvisningsklinik med anæstesi team til GA og IV-sedation. Kirurgi, implantologi, Endodonti, Protetik, Parodontologi & Oral medicin.

Klampenborgvej 221, 2. sal 2800 Kongens Lyngby

Tlf: 88 88 80 00 www.nord.dk

tandlægen.dk Roskilde Nasim Shirkhanloo

Algade 52, 1. 4000 Roskilde 46 35 33 13 www.tandlaegen.dk/Roskilde

Æstetisk tandpleje

Hausergaarden

John Orloff

• Æstetik * eget dental lab. Se under behandlingscentre www.hausergaarden.dk

Oplev CEREC on DS Core

Fremtidens digitale workflow er her

Med CEREC on DS Core kan du nu designe kroner, inlays og onlays direkte i skyen* - hurtigt, nemt og uden begrænsninger. Alt du behøver er en webbrowser. Arbejd hvor du vil, når du vil, og giv dine patienter den komfort og service, de fortjener – tandpleje i et enkelt besøg.

CEREC-workflowet er nu også tilgængeligt for TRIOS-scannere, hvilket styrker DS Core som den centrale platform for digital tandpleje.

Mød også de seneste innovationer i CEREC-familien – CEREC Primemill Lite og CEREC Go. Du kan nu fræse kroner, inlays og onlays i hybridkeramik eller komposit på bare 2-4 minutter.

Kontakt os i dag

Attraktive og veldrevne klinikker i Ølstykke og Slangerup søger klinikchef

QUICK NR. 18173

Godt Smil Horsens C søger tandlæge på deltid

QUICK NR. 18175

Klinik i centrum af Slagelse søger KA-elev senest jan. 2026

QUICK NR. 18189

Godt Smil Fredericia søger tandlæge

QUICK NR. 18196

Selvstændigt TandlægeCenter i Søborg søger klinikassistentelev

QUICK NR. 18218

Tandlægerne i Parken søger klinikassistent til topmoderne praksis

QUICK NR. 18219

Tandlægerne i Parken søger sterilassistent/ klinikassistent til vores steril

QUICK NR. 18220

Tandklinik i Frederikshavn søger pr. 5/1/2026 tandlæge til spændende job

QUICK NR. 18223

Tandplejeteamet i Høje-Taastrup Kommune søger tandlæge

QUICK NR. 18224

Dejlig klinik i Vinderup søger klinikassistent

QUICK NR. 18225

Frederiksberg Tandlægerne søger klinikassistent

QUICK NR. 18226

Ryomgård Tandlægeklinik søger tandplejer 30-36 timer ugentligt

QUICK NR. 18227

PLUS1 klinik i Rødovre Centrum søger tandplejer

QUICK NR. 18228

Tandlægen.dk Allerød søger receptionist

QUICK NR. 18231

Godt Smil Odense M søger tandplejer

QUICK NR. 18232

Banegårdspladsens Tandklinik Næstved søger klinikassistentelev

QUICK NR. 18233

Ebeltoft & Rønde Tandlægeklinik søger klinikassistent uddannet eller elev til spændende stilling

QUICK NR. 18235

Klinik i Grenå søger tandlæge til deltidsstilling

QUICK NR. 18236

Institut for Odontologi og Oral Sundhed på Aarhus Universitets sundhedsvidenskabelige fakultet, Health, søger fem videreuddannelsesstuderende i Ortodonti pr. 1. september 2026

QUICK NR. 18237

Tandlægerne Parken søger receptionist

QUICK NR. 18238

NORD specialtandlæger søger en erfaren og kompetent klinikassistent

QUICK NR. 18239

Klinik i Ringkøbing søger tandplejer

QUICK NR. 18240

Klinik i Egtved søger tandlæge – måske med en medejer i maven?

QUICK NR. 18241

Klinik i Skørping søger smilende og dygtig klinikassistent til attraktiv stilling

QUICK NR. 18257

Klinik i Langeskov søger tandplejer

Klinik i Otterup søger tandplejer

Stor klinik i Århus C søger klinikassistent

QUICK NR. 18242

QUICK NR. 18243

QUICK NR. 18244

Klinik i Birkerød søger humørfyldt klinikassistent

QUICK NR. 18245

Travl praksis i Aarhus søger tandplejer

QUICK NR. 18248

Travl klinik i Århus søger tandlæge

QUICK NR. 18249

Palæklinikken, centralt beliggende ved Nyhavn søger klinikassistent

QUICK NR. 18250

Klinik i Frederikssund søger klinikassistent

QUICK NR. 18252

Klinik i Nordsjælland søger sød og dygtig tandplejer til fast deltidsstilling

QUICK NR. 18253

Varde kommunale Tandpleje søger tandlæge

QUICK NR. 18255

Den Regional Specialtandpleje i Viborg – med behandling i narkose søger tandlæge

QUICK NR. 18256

Sehested Tandlægerne søger tandplejer

QUICK NR. 18262

Sehested Tandlægerne søger klinikassistent

QUICK NR. 18263

Høje-Taastrup Kommunes Tandpleje søger klinikassistent

QUICK NR. 18264

Klinik i Holstebro søger tandplejer til fuld aftalebog

QUICK NR. 18266

Klinik i Skibby søger tandplejer

QUICK NR. 18268

Faaborg-Midtfyn kommune søger tandplejer

QUICK NR. 18273

Godt Smil i Vejle søger tandplejer

QUICK NR. 18274

Palæklinikken, centralt beliggende ved Nyhavn søger klinikassistent

QUICK NR. 18276

Ikast-Brande Kommune søger tandlæge

QUICK NR. 18277

Moderne tandklinik i København søger erfaren receptionist

QUICK NR. 18278

Er du tandlægen, Hjørring Kommunes børn venter på?

QUICK NR. 18279

Et hvidere smil kan gøre din verden lysere

Opalescence tandblegning har en mission om at give dine patienter lysere, hvidere smil, så de kan se ud og føle sig som den bedste version af sig selv. Så bliver gode dage bare endnu bedre.

Læs mere om vores tandblegningsprodukter på ultradent.eu/brighterworld og giv dine patienter flere grunde til at smile.

ULTRADENT.EU

eu.ultradent.blog

© 2025 Ultradent Products, Inc. Alle rettigheder forbeholdes.

Økonomisk rådgivning til klinikejere: Samspil mellem privat- og klinikøkonomi

Få samlet og solid økonomisk rådgivning i en bank med specialisterfaring i tandlægebranches økonomiske forhold.

Vidste du, at et stærkt samspil mellem din klinikøkonomi, privatøkonomi og pensionsøkonomi er nøglen til at optimere din formue, skat og arveplanlægning.

Lad os finde en løsning, der er skræddersyet til netop din situation professionelt og privat.

Du vil opleve rådgivning baseret på tillid, faglig indsigt og et ønske om at opbygge en langvarig relation.

Ring 76 249 385 for en uforpligtende snak eller skan QR-koden for mere info.

Mød os online
Hvidere tænder kan give dine patienter større selvtillid til at smile mere.

køb og salg

Dental Consult ApS

v/ Ken Kürstein

Strandvej 22 4220 Korsør M: 20 20 92 12 kk@DentalConsult.dk www.DentalConsult.dk

Vores særlige kompetencer er:

• Handel med Tandklinikker (klinikmægler)

– Ejerskifte og Generationskifte af Tandlægeklinikker

– Køb og Salg af tandklinikker

– Sælgerrådgivning Salgsopstillinger (prospekt)

– Sælgerkartotek (potentielle sælgere)

• Finansiering af klinikker og udstyr www.Kapital-Coach.dk

• Forretningsudvikling af tandklinikker, ring og hør mere

Klinikbørsen ApS

Kvæsthusgade 6 E, 3. sal 1251 København K.

Tlf.: +45 70 20 69 79

Mobil: +45 20 24 49 79

E-mail: bc@klinikborsen.dk www.klinikborsen.dk

klinikformidleren.dk

– Køberregister (potentielle købere)

• Rekruttering af tandlæger, tandplejere og klinikassistenter

klinikformidleren.dk

Vil du sælge, og vil du have en seriøs behandling af dit kliniksalg med respekt for klinikken og dine medarbejdere, så tag gerne fat i os.

Vil du sælge, og vil du have en seriøs behandling af dit kliniksalg med respekt for klinikken og dine medarbejdere, så tag gerne fat i os.

Klinikformidleren.dk

Klinikformidleren.dk

Info@klinikformidleren.dk Tlf. 20124796

Info@klinikformidleren.dk Tlf. 20124796 klinikformidleren.dk

Seriøst kliniksalg i hele Danmark. Se vores hjemmeside for aktuelle klinikker, eller kontakt os på tlf. 20 12 47 96 for at høre nærmere.

Vil du sælge, og vil du have en seriøs behandling af dit kliniksalg med respekt for klinikken og dine medarbejdere, så tag gerne fat i os.

Vil du sælge, og vil du have en seriøs behandling af dit kliniksalg med respekt for klinikken og dine medarbejdere, så tag gerne fat i os.

Klinikformidleren.dk

Klinikformidleren.dk

Info@klinikformidleren.dk Tlf. 20124796

Info@klinikformidleren.dk Tlf. 20124796 klinikformidleren.dk

leverandørhenvisninger

Henvendelse angående leverandørhenvisninger

Heidi Dyhr hos DG Media, tlf. 28 34 29 21, e-mail: heidi.d@dgmedia.dk

advokater

JURIDISK RÅDGIVNING TIL TANDLÆGER

Med mere end 20 års erfaring inden for sundhedssektoren kan jeg hjælpe dig sikkert i mål med dine juridiske spørgsmål og bistår i forhandlinger om overdragelse, samarbejdsvilkår, opløsning af samarbejde, ansættelsesforhold, lejemål, deltagelse i rets- og voldgiftssager etc.

ng@adv-nyhavn.dk ⁄ +45 33 11 93 13 / Nyhavn 6, 1051 København K www.tandlaege-advokat.dk

Mette Neve

PARTNER, ADVOKAT M: +45 5074 4173 neve@clemenslaw.dk

arbejdsplads

Købe eller sælge?

Få rådgivning omkring køb og salg af tandlægeklinik. Dit valg af rådgiver gør en forskel!

• Automatisk fremsendelse • Autoudfyldte oplysninger Nemt abonnements system

Test sterilisationsprocessen i din autoklave med biologiske indikatorer

www.safeint.com · info@safeint.com · Tlf: +45 70 231 313

Som tandlæge hos Godt Smil kan du forvente:

Fuldt fokus på patienten – vi klarer resten.

En fyldt aftalebog (vores bookingprocent er pt. på 90%).

En arbejdsplads, hvor der bliver lyttet til dig og dine ønsker.

Ny Klinik?

Vi hjælper dig skabe din drømmeklinik. Klinikindretning, Hjemmeside, Visuel Identitet Kontakt Casper, +45 3013 2156 waitingroomstudio.com

kurser - uddannelse

Vi er specialister i førstehjælpsundervisning til tandklinikker og du kan være med til at gøre en forskel. HLR-HJÆLP sørger for, at det både er sjovt og underholdende at lære førstehjælp.

Kontakt Casper Behrendt på tlf. 8171 3121 www.hlrhjælp.dk

revision – administration

At vælge revisor er en tillidssag

Derfor har vi specialiseret os i rådgivning af tandlæger

Kontakt: Paw Hjelmberg Laursen paw.hjelmberg.laursen@pwc.com

NYT REVISIONSFIRMA men mange års erfaring indenfor tandlægebranchen.

Vi kan tilbyde specialiseret rådgivning indenfor bl.a.:

• Driftsoptimering af klinik

• Køb/salg klinik

• Formueoptimering

■ Jeanne Svendsen, Mobil: 30 93 49 06

■ Anders Frihed Hedegaard Christensen, Mobil: 30934763

■ www.powered-by.dk

vikarservice

Vikarbureauet for klinikassistenter

• Landsdækkende Vikarservice

• Nu også for Tandplejere

• Lidt billigere

• Ring fra kl. 6.00 på tlf. 40 40 12 18 www.vikartoteket.dk

+DEN LILLE TANDFE

VIKARBUREAUET FOR KLINIKASSISTENTER OG TANDPLEJERE

• Erfarne klinikassistenter og tandplejere

• TryB4Hire

• Rekruttering

• Dækker hele Danmark

Kontakt os på 4076 1993 / kontakt@denlilletandfe.dk

Læs mere på: denlilletandfe.dk

Mange tror, det ikke er vigtigt at børste mælketænderne

TANDAMBASSADØR MARWA SLEEM har fundet et arbejde, der forener hendes to store passioner – tandsundhed og socialt engagement. Hver dag arbejder hun for, at flere børn i Gellerup og Toveshøj får sunde tænder og stærke smil.

FORTALT TIL SOFIE

06.00 / Jeg står op – det er torsdag den 2. oktober 2025. Bagefter vækker jeg min ældste datter på 11 år. Hun smører selv sin madpakke og cykler i skole. Til sidst vækker jeg min yngste datter på to år, som jeg gør klar og kører i vuggestue. Inden vi tager hjemmefra, hjælper jeg naturligvis pigerne med at børste tænder. Efter aflevering kører jeg videre til mit arbejde i Det Boligsociale Hus i Brabrand Boligforening i Aarhus. Her står jeg bl.a. for projektet ”Tandambassadører”, der skal skabe større bevidsthed om tandsundhed blandt familier i Gellerup og Toveshøj.

08.00 / På arbejdet starter vi – som vi gør en gang om måneden – dagen med fælles morgenmad og en sang. Det er en hyggelig tradition. Bagefter taler vi om, hvad der rører sig på det boligsociale område i Brabrand. Jeg har boet i Danmark i fem år. Før det blev jeg uddannet som tandlæge i Egypten, hvor jeg også er vokset op. I Egypten arbejdede jeg både i det kommunale og private i 13 år. Her deltog jeg bl.a. i et projekt kaldet ”Jeg elsker mine tænder”, som minder meget

om tandambassadørprojektet i Gellerup og Toveshøj. Jeg føler mig heldig over at have fundet et arbejde, hvor tandsundhed og socialt engagement går hånd i hånd.

11 . 0 0 / Jeg tager imod områdets tandambassadører – i dag er vi omkring otte deltagere. Gruppen spænder bredt: Fra unge førstegangsmødre til ældre kvinder med børnebørn. Sammen besøger vi Tandplejen Toveshøj, hvor ambassadørerne får en rundvisning og kan stille spørgsmål. I Gellerup og Toveshøj har dobbelt så mange børn og unge alvorlige huller i tænderne som i resten af Aarhus. Derfor handler projektet om at ændre vaner og skabe viden om tandpleje. Mange af beboerne tror fejlagtigt, at mælketænder ikke er vigtige, fordi de alligevel bliver skiftet ud. Vi hjælper forældrene med at forstå, hvorfor det er vigtigt at passe børnenes tænder og sikre, at de bliver børstet to gange dagligt, så de får sunde tænder hele livet.

15.00 / Næste punkt på dagsordenen er et møde med en kollega fra Brabrand

Boligforening. Vi planlægger et efterårsferiearrangement for tandambassadørerne og deres familier. Turen går til Steno Museet i Aarhus, hvor der lige nu er en udstilling om tandplejens udvikling – bl.a. med et rekonstrueret interiør fra den første skoletandklinik i Graven i Aarhus fra begyndelsen af 1900-tallet. En vigtig del af tandambassadørprojektet er også at skabe fællesskab – både mellem ambassadørerne og deres familier. Og så er min erfaring, at informationerne spredes hurtigt og godt, når det gøres via både oplysning og underholdende aktiviteter.

16.00 / Arbejdsdagen er slut, og jeg henter min yngste datter i vuggestuen. Derefter tager jeg med min ældste til håndboldtræning. Hun elsker sporten, og jeg vil gerne støtte hende i det. Omkring klokken 18 kommer min mand hjem fra klinikken. Han er også tandlæge. Vi spiser aftensmad sammen og taler om, hvordan vores dag har været. Klokken 20 børster min mand tænder på børnene og putter dem i seng. En time senere går jeg også i seng – træt, men glad efter en god dag. ♦

MARWA SLEEM

Boligsocial medarbejder, Brabrand Boligforening og tandlæge

www.kavo.com/en-no

Få en kvalitetsunit til  en skarp pakkepris

Med Planmeca Touch Value Deal får du en komplet unit med alt, hvad du behøver til en arbejdsdag med overskud – stabil drift, god ergonomi og en tryg patientoplevelse. Og lige nu får du det hele til en ekstra skarp pakkepris.

195.000,- inkl. moms

Leasingpris 3.448,- pr. måned*

Nem betjening

Smart touchpanel og fodkontrol gør det let at styre unitten – og vælge dine foretrukne indstillinger.

God ergonomi

Optimal arbejdsstilling og bevægelsesfrihed, så du og din assistent kan arbejde effektivt – hele dagen.

Styr på hygiejnen

Automatiske skylleprogrammer og solide materialer gør det enkelt for dig at sikre god hygiejne.

Kontakt os i dag!

Den skarpe pakkepris gælder kun til 19. december 2025.

Ring til vores udstyrsafdeling allerede i dag på 43 66 44 44

*PlanmecaTouch Value Deal inkl. single LED-operationslampe, fontæne med selektivt sug og fontæneventil, patientstol med Comfy-polster, bakkebord til en kassette og tre instrumenter: trefunktionssprøjte, mikromotor med lys (KaVo IntraLux KL703) samt turbineslange med lys. Unitten er vist med ekstraudstyr.

Leasingperiode 60 måneder, variabel rente, 10 % i restværdi.

Fremragende komfort

Stolens ergonomiske form og nakkestøtte giver dine patienter optimal komfort – så de kan føle sig trygge.

Turn static files into dynamic content formats.

Create a flipbook
Issuu converts static files into: digital portfolios, online yearbooks, online catalogs, digital photo albums and more. Sign up and create your flipbook.
Tandlægebladet 11 - 2025 by Tandlaegebladet - Issuu