

REPAIR & PROTECT
DEEP REPAIR
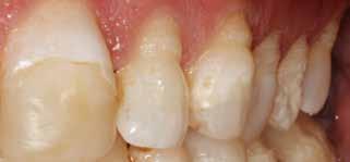
Indeholder Novamin®
Det er klinisk bevist at tandpasta med Novamin® beskytter mod isninger ved at danne et beskyttende og reparerende lag hen over den eksponerede dentin1-3


Stolt sponsor af


Danner et beskyttende lag hen over den eksponerede dentin*
Hjælper med at holde tandkødet sundt*
Læs mere på HaleonPro.dk Langvarig beskyttelse* af sensitiviter

FÅ EN DRIFTSSIKKER KLINIK MED NORDENTA SERVICE
Slip bekymringerne
– vi holder styr på dit udstyr!
En travl hverdag på klinikken kræver fokus på patienterne – ikke på udstyret. Med en serviceaftale er du sikret løbende vedligeholdelse og maksimal driftssikkerhed.
Læs mere om serviceaftalerne på nordenta.dk/service eller ring på 87 68 16 11

Prismatch hos Nordenta
Finder du en lavere pris på en vare? Vi matcher den – enkelt og fair.
Vi matcher prisen på både udstyr, småudstyr, forbrugsvarer – og også serviceaftaler.
Læs mere på nordenta.dk/prismatch
REDAKTION
Nils-Erik Fiehn Lektor, dr.odont. Ansvarshavende og faglig-videnskabelig redaktør, nef@tdl.dk
Lorena Cruzado Grafisk designer, ldc@tdl.dk
FAGREDAKTION
Anders Troels Damgaard Adm. redaktør, atd@tdl.dk
Sofie Stokholm Jacobsen Redaktør og journalist, ssj@tdl.dk
Sofie Sparre Journalist, ssp@tdl.dk
Kim Andreasen Journalist, kia@tdl.dk
Palle Holmstrup Professor, dr.odont. Søren Schou Specialtandlæge, dr.odont.
Lise-Lotte Kirkevang Professor, dr.odont.
DET VIDENSKABELIGE PANEL
Lene Baad-Hansen, Erik Dabelsteen, Jon E. Dahl, Anne Havemose-Poulsen, Nuno Hermann, Palle Holmstrup, Siri Beier Jensen, Mats Jontell, Lise-Lotte Kirkevang, Björn Klinge, Mathilde Frost Kristensen, Gulnoush Bahrami Møller, Anne Marie L. Pedersen, Søren Schou, Svante Twetman, Ann Wenzel, Esben Boeskov Øzhayat
MANUSKRIPTVEJLEDNING
Videnskabelige manuskripter sendes til den faglig-videnskabelige redaktør på nef@tdl.dk. Find i øvrigt Tandlægebladets manuskriptvejledninger på Tandlægebladet.dk under menupunktet “Om Tandlægebladet”
ANNONCER
Stillingsannoncer og kollegiale henvendelser: Marketingkonsulent Tina Andersen ta@tdl.dk Produkt- og leverandørannoncer varetages af DG Media, Heidi Dyhr, tlf. 2834 2921, Heidi.d@dgmedia.dk, www.dgmedia.dk
UDEBLIVER TANDLÆGEBLADET?
Skriv til tbredaktion@tdl.dk. Ved adresseændring skriv til medlemsregistrering@tdl.dk
UDGIVER
Tandlægeforeningen, Amaliegade 17, 1256 Kbh. K Tandlægebladet udkommer 11 gange årligt Distribueret oplag pr. nummer: 5.441 Medlem af Danske Medier ISSN: 0039-9153
LAYOUT OG GRAFISK PRODUKTION
Lorena Cruzado (AD) vahle+nikolaisen (layout og tryk)
FORSIDE
Anders Trærup

VIDENSKABELIGT TEMA Syndromer, som påvirker den orale sundhed– del 2

BAGGRUND Flere ældre tandlæger holder fast i faget
Tandlæger bliver i stigende grad på arbejdsmarkedet langt ind i pensionsalderen. Og de er en gevinst for arbejdspladsen, viser forskning.

NYHED
Tandlæger i det kommunale og private møder flere patienter med ADHD, viser en ny undersøgelse. Det kan give nogle udfordringer.
VIDENSKAB & KLINIK
Faglig leder / 727
JAKOBSEN LP, HERMANN NV
Syndromal læbe-gane-spalte / 728
BERGGREN T, ÖSTENSON P, MAHIC M, THEISEN OR
Individuelt tilpasset tandbehandling ved sjældne diagnoser / 738
RØNNEBERG A, NORDGARDEN H
Genetiske diagnoser, som medfører udviklingsforstyrrelser i emalje og dentin – tandlægens vigtige rolle / 744
FAST STOF
/768

FAGSTAFETTEN
I denne måneds fagstafet svarer tandlæge Yasser Haddadi på, hvor man skal starte, hvis man vil udbygge sit kendskab til digitale muligheder, og hvordan den digitale udvikling ser ud fremover.
ADHD-patienter kræver særlige hensyn /770
Leder / 713
Update / 714
Guide / 752
Kom til orde / 772
Medlemsservice / 776
Et døgn med / 792
Første skridt er en plads ved bordet
Et godt råd lyder, at man ikke skal tage noget for givet. Man kan hurtigt blive skuffet og komme til at ligne en jubelidiot, hvis tingene falder anderledes ud, end man havde troet eller håbet. Det gælder også i politik.
Men jeg vover alligevel et øje og siger, at det er overordentligt positivt, at Danske Regioner nu tilkendegiver, at det skal være slut med særloven, som har reguleret voksentandplejen siden 2018. Regionerne vil vende tilbage til en styringsmodel, hvor de overordnede rammer aftales mellem Danske Regioner og Tandlægeforeningen.
Efter syv år med undtagelsestilstand er det et helt afgørende signal, at regionerne nu anerkender og bakker op om vores ønske om en forhandlet aftale om voksentandplejen – ligesom vi kender det fra de andre praksisområder i sundhedsvæsenet, herunder de praktiserende læger.
Det fælles signal fra os og regionerne bliver rigtig svært at sidde overhørig for politikerne på Christiansborg.
Hvad er det så egentlig, vi skal forhandle om? Og bliver der tale om reelle forhandlinger? Det er gode og relevante spørgsmål, og p.t. kender vi ikke svarene. Meget afhænger af, hvilken tilskudsmodel politikerne vil gå med. Men det er min personlige indstilling, at man skal søge indflydelse for at få den.
Det fælles signal fra os og regionerne bliver rigtig svært at sidde overhørig for politikerne på
Christiansborg

Det er nemt og gratis at stå på sidelinjen og råbe ultimative krav, som nogle aktører i vores branche har for vane. Det får man ikke indflydelse af. Og det er politisk naivt og tonedøvt at tro, at politikerne er mere optagede af tandlægernes vilkår end patienternes. Selvfølgelig er de ikke det.
For os er der ingen modsætning i at varetage tandlægernes interesser og patienternes. Tingene hænger jo sammen. Vi har brug for ordentlige rammer og vilkår for at give patienterne den bedste behandling. Det er den tilgang, vi vil møde op med.
Vi skal selvfølgelig ikke indgå en aftale for enhver pris. Den skal være så tilpas attraktiv, at klinikejerne kan se sig selv i den. Ellers kan det være ligemeget.
De seneste måneders forløb med de alment praktiserende læger har vist, at det kan være bøvlet. Der er blevet taget og givet. Ligesom lægerne får vi næppe alt, hvad vi ønsker. Og vi vil helt sikkert også blive mødt af krav fra modparten, vi ikke bryder os om.
Men her og nu er fokus at komme tilbage til forhandlingsbordet. Det har vi kæmpet for i mange år, og det alene vil være en kæmpe sejr. Så må vi gøre regnebrættet op, når vi sidder der. ♦
TORBEN SCHØNWALDT Formand for Tandlægeforeningen
Sjælden operation med tand genskaber synet
EN 75-ÅRIG CANADISK KVINDE har fået synet igen –takket være en af sine egne tænder. Det er en af de mest avancerede øjenoperationer i verden.
For ti år siden mistede Gail Lane fra British Columbia i Canada synet på grund af ardannelse på hornhinderne. I årevis var hun afhængig af andres hjælp i hverdagen. Men efter at hun tidligere i år gennemgik en sjælden operation, osteo-odontokeratoprotese (OOKP), er hun gradvist begyndt at få synet igen.
Sådan foregår operationen
OOKP er blandt de mest avancerede øjenoperationer i verden og udføres kun få steder, bl.a. i Spanien, Tyskland, England, USA, Indien, Canada og Italien, hvor teknikken blev udviklet i 1963. For at være kandidat til operationen skal patienten have udtømt alle andre behandlingsmuligheder. Det kan være tilfælde, hvor øjenlågene er vokset sammen, og hvor der slet ikke produceres tårer. Jesper Hjortdal, klinisk professor og overlæge på Aarhus Universitetshospital, har besøgt flere internationale centre, hvor operationen udføres. Han forklarer, at operationen foregår ved, at man tager en hjørnetand og et stykke af den tilstødende knogle fra patienten. Tanden kombineres med en lille plastikcylinder, der senere skal fungere som en kunstig linse. Tanden og knoglestykket placeres midlertidigt i kinden i tre måneder, så de omsluttes af bindevæv. Derefter sys et stykke mundslimhinde fast over øjet, hvor det skal hele i yderligere tre måneder. Til sidst flyt-
tes tanden fra kinden til øjet, hvor den fastgøres. Slimhinden trækkes ned, og plastikcylinderen danner en kanal, patienten kan se igennem.
- På den måde fungerer tanden og cylinderen som en ny hornhinde – og patienten kan opnå et forbavsende godt syn, siger Jesper Hjortdal.
Patienten kan
opnå et
forbavsende
godt syn
JESPER HJORTDAL
Klinisk professor og overlæge på Aarhus Universitetshospital
Ifølge Journal of Pharmaceutical Research har operationen en succesrate på over 85 %, og Jesper Hjortdal vurderer, at protesen og dermed patienternes syn i nogle tilfælde kan holde i flere årtier.
Ifølge Jesper Hjortdal er det netop tand og mundslimhinde, der gør operationen mulig:
- Munden er det eneste sted på kroppen, hvor væv naturligt bryder igennem
slimhinden. Det ligner det miljø, man finder i øjet – og derfor kan det fungere dér.
Flere danske patienter opereret
Selv om OOKP ikke udføres i Danmark, har flere danske patienter fået lavet indgrebet i udlandet.
- Den seneste patient, vi har sendt afsted, var en ældre herre, som blev opereret i Spanien. Han genvandt 80 % af sit syn, hvilket må siges at være et særdeles flot resultat, siger Jesper Hjortdal.
På trods af, at OOKP altså ikke udføres herhjemme, bruger danske kirurger dog lignende teknikker.
- Jeg har fx tidligere, i samarbejde med tandlæger, lavet operationer, hvor vi har brugt mundslimhinden til at hjælpe med at give patienter synet igen. Det kan fx være på patienter, der har forandringer på øjet, hvor bindevæv er vokset ind over hornhinden, siger Jesper Hjortdal.
For Gail Lane har operationen været livsforandrende. Hun glæder sig over at kunne færdes mere frit:
- Jeg håber at få mere mobilitet og uafhængighed – bare at kunne gå en tur uden altid at skulle holde fast i en andens arm, siger hun til det canadiske medie CBC. ♦
Lavtlønnede og ledige går sjældnere til tandlæge
Der er social ulighed i tandsundheden i Danmark. Selv om den generelle tandsundhed er forbedret over de seneste år, er den sociale ulighed steget, viser en ny analyse fra
Tænketanken Kraka. Lavtlønnede kommer ikke nær så ofte til tandlægen som de højtuddannede.
Jo højere indkomst, jo hyppigere tandlægebesøg
Knap 70 % af de danske topledere var til tandlæge i 2023. Til sammenligning besøgte under halvdelen af de lavtlønnede og ledige tandlægen.
Personerudentilknytningtilarbejdsmarkedet LønmodtageregrundniveauPensionisterogefterlønsmodtagere Lønmodtagermellemniveau Lønmodtagerehøjesteniveau
Mere tandlæge, mindre læge
Høj indkomst giver flere tandlægebesøg, men færre lægebesøg. I 2023 gik de 25 % danskere med højest indkomst dobbelt så ofte til tandlæge som de 25 % med lavest indkomst. Når det gælder lægebesøg, var det lige omvendt.
Kontakter til almen læge (antal pr. person)
Kontakter til tandlæge (antal pr. person) Almen læge (venstre akse)
Tandpasta af hår
HÅR I TANDPASTA kan reparere og beskytte beskadigede tænder, mener forskere fra King's College London. Ifølge dem kan keratin – et protein, der findes i hår, hud og uld – reparere tandemaljen og stoppe tidlige stadier af caries. Keratin producerer nemlig en beskyttende belægning, der efterligner strukturen og funktionen af naturlig emalje, når den kommer i kontakt med mineraler i spyt.
Kilde: bbc.com

MAGASINET KLINIKLIV er netop landet. Her kan du blive klædt på til Symposium 2025 om den akutte patient og få en smagsprøve på flere af de oplægsholdere, der gæster årets symposium den 7. november i Aalborg.
Det har været en turbulent tid hen over sommeren, men vi praktiserende læger kan også nu sige, at vi igen kan have tillid til, at sundhedsreformen vil skabe et stærkere fundament for fremtidens sundhedsvæsen
JØRGEN SKADBORG
Formand for Praktiserende Lægers Organisation (PLO)
Efter måneders konflikt fremlagde PLO og sundhedsminister Sophie Løhde (V) et fælles forståelsespapir på et pressemøde den 22. september 2025.
Kilde: Sundhedspolitisk Tidsskrift 1 milliard
Så mange tandbørster bliver der smidt ud om året alene i USA. I Indien har man regnet på, at der bliver smidt 150 millioner tandbørster ud hver eneste måned.
Kilde: Nationalmuseet
LÆR AF FEJLEN
Siden 2010 har det været lovpligtigt for tandlæger at rapportere utilsigtede hændelser (UTH) til Styrelsen for Patientsikkerhed. I alle fem regioner er der ansat risikomanagere, der arbejder med at øge patientsikkerheden på tandlægeområdet bl.a. ved at drage læring af utilsigtede hændelser og videreformidle denne læring til gavn for andre tandlæger. I samarbejde med regionernes risikomanagere deler vi på denne plads patienttilfælde, som er omskrevet, men baseret på lignende indrapporteringer. Du kan rapportere en UTH på dpsd.dk
Gentagne henvendelser efter operation
PATIENTTILFÆLDE
En patient får opereret to visdomstænder ud hos tandlægen og bliver sendt hjem uden forebyggende antibiotikum. I dagene efter får patienten tiltagende hævelse, ømhed og nedsat gabeevne og kontakter derfor regionens tandlægevagt, der henviser til egen tandlæge næste dag. På fjerdedagen er patienten i telefonisk kontakt med tandlægeklinikkens receptionist, som anbefaler at træne gabeevne og ringe igen tre dage senere, hvis der ikke er nogen effekt. Samme aften kontakter patienten den regionale tandlægevagt igen og får ordineret antibiotikum.
På syvendedagen er der fortsat ingen bedring. Patienten kontakter tandlægeklinikken og bliver tilset af en klinikassistent i akuttiden. Patienten er bekymret for et hævet, hårdt og smertefuldt område på siden af halsen. Patienten har også haft lidt feber i løbet af ugen. Patienten får at vide, at det er normalt, og såret i munden bliver behandlet med nellike, selv om smerten ikke stammer herfra. På niendedagen må patienten tilses i den regionale tandlægevagt, hvor der bliver givet andet og stærkere antibiotikum. Patienten henvises til at kontakte sin egen tandlæge efter weekenden.
På tiendedagen trykker hævelsen på luftvejene, og patienten opsøger den
regionale tandlægevagt. Her bliver patienten tilset og indlagt med forhøjede infektionstal og abscesdannelse på begge sider. Patienten bliver opereret og er indlagt tre et halvt døgn efterfølgende til skylning af dræn.
LÆRING
Komplikationer til operationer er kendte. Hvis en patient henvender sig gentagne gange med samme problematik, bør patienten konfereres med eller tilses af en tandlæge. Ligesom
ved manglende effekt af en igangsat behandling og symptomer på infektion bør der udredes nærmere for at identificere årsagen.
På baggrund af hændelsen har klinikken nu udarbejdet mere sikre arbejdsgange, så klinikpersonalet ved, hvornår de skal konferere med tandlægen. De har bl.a. udviklet en spørgeguide til telefonkonsultationer, der skal hjælpe med at identificere mulige komplikationer og behov for opfølgende kontrol postoperativt.

Det spørger I om
Skal der betales pension af fritvalg?
TANDLÆGEFORENINGEN: KOMMENDE KURSER
SVAR: Der skal altid betales pension af udbetalte fritvalgsbeløb, dvs. i de tilfælde, hvor medarbejderen får udbetalt fritvalg løbende hver måned eller én gang om året med decemberlønnen.
Kontakt Tandlægeforeningen for rådgivning på tlf.: 70 25 77 11
Nyt fra Tdlnet
Kommuner bryder retningslinjer
København Årets TR-dag
Tilmeldingsfrist: 28. oktober 2025
Ny tolkning fra Sundhedsministeriet: Tilskud dækker også visse plastfyldninger
356 klik
Aalborg
Symposium 2025 - Den akutte patient
Tilmeldingsfrist: 3. november 2025
Webinar
Record keeping - a digital course in English
Tilmeldingsfrist: 19. december 2025
Tandlægeforeningen har lavet en aftale med Tivoli om, at alle medlemmer kan få 15 % rabat på entrébilletter, turpas og årskort. Rabatten kan kun opnås ved at bestille online. Læs mere på Tdlnet.
Flere kommuner prøver at begrænse tandlægers vurdering af, hvornår børn og unge skal indkaldes til en statusundersøgelse. Tandlægeforeningens klinikejerafdeling mener, at det er i strid med Sundhedsstyrelsens Nationale Kliniske Retningslinjer. Man kan kontakte Tandlægeforeningens klinikejerafdeling, hvis man har oplevet problemet i sin kommune.
§166: Journalfør konkret diagnose
Patienter, der søger hjælp via §166, kan uberettiget blive afvist, hvis man ikke journalfører den konkrete diagnose i journalsystemet under OBS, der viser, at patientens betydelige tandproblemer skyldes mundtørhed. Tandlægevirksomhed får alvorlig kritik
Datatilsynet udtaler alvorlig kritik af en tandlægevirksomhed, der havde foretaget flere skjulte lydoptagelser af samtaler med en medarbejder under ansættelsen, uden medarbejderen vidste det.
Vores bestseller til jubilæumsbetingelser!*
• Prisfordel – 5.000 € ved 16×9 / 12×9 Green Nxt – 13.000 € ved 16×9 Green Nxt Ceph
• 10 års garanti på alle dele (undtagen tjenesteydelser)
• by zz® EzOrtho – 1 år gratis! (ved CEPH-apparater)
• by zz® vedligeholdelseskontrakt – 1 år gratis!
• Diagnocat – 1 år gratis!
• Hurtigste omløbstider: 3D-omløb: 4,9 sek. Fast Scan CEPH: 1,9 sek.
• Minimale bevægelsesartefakter
• Laveste stråledosis med bedste kvalitet
• FOV: 5x5, 8x5, 8x9 (op til 12x9 eller 16x9)
• DTV-verdensmarkedsleder





FOTO
Miswaken betragtes som verdens første tandbørste. Den fremstilles af rødder eller kviste fra Salvadora persica – sennepstræet, også kendt som tandbørstetræet – der vokser vildt i Afrika, Mellemøsten og Indien. Når kvisten trevles i enden, kan den bruges til at rense tænderne. Arkæologiske fund viser, at redskabet var i brug allerede i Babylon og Egypten omkring 3.500 år f.Kr.
Selv om miswaken har flere tusind år på bagen, kan den stadig findes i Danmark i dag – typisk i grønthandlere og bazarer, bl.a. på Nørrebro i København. Her sælges den ikke længere friskplukket, men vakuumpakket i plast.
I de fleste danske hjem står miswaken dog ikke i tandbørstekruset. Den anvendes primært i religiøs sammenhæng, særligt blandt muslimer, hvor den indgår i rituelle renhedshandlinger, fx inden fredagsbøn. Ifølge islamiske kilder anbefalede profeten Muhammed brugen af miswak, især før bøn, og traditionen lever derfor videre i dag.
Ud over sin religiøse betydning tilskrives miswaken også en række medicinske virkninger. Studier har vist, at den indeholder stoffer med antibakterielle og antimykotiske egenskaber.
På Nationalmuseet kan man netop nu opleve særudstillingen ”Miswak”, skabt i samarbejde med bl.a. Tandsundhed Uden Grænser. Her vises et udvalg af de miswaker, museet har indsamlet, og gæsterne kan få et indblik i, hvordan verdens ældste tandbørste stadig bruges forskellige steder i verden. ♦
Kilde: Mette Boritz, museumsinspektør, Nationalmuseet


Tandbørste og tro


Vidste du, at Colgate® tilbyder
tandpasta uden SLS* skummemiddel?


– til patienter med særlige behov!
Anbefaler du tandpasta uden SLS* skummemiddel til patienter med særlige behov, såsom dem der anvender Klorhexidin mundskyl post-operativt, lider af blister (RAU) eller har tør mund? Colgate har nogle skånsomme alternativer, der giver samme gode effekt på tandsundheden som vores andre tandpastaer.
Scan QR-koden for mere information.
Klar sammenhæng mellem parodontitis og demens
SVÆR PARODONTITIS kan være en risikofaktor for at udvikle demens, især Alzheimers sygdom. Det viser en ny systematisk oversigtsartikel, hvor forskere fra Sydkorea har gennemgået 24 studier for at analysere sammenhængen med fokus på sværhedsgraden af parodontitis og typen af demens.
Forskerne anvendte effektmodeller til at beregne odds ratioer (OR’er), hazard ratioer (HR’er) og 95 % konfidensintervaller (CI’er) for at vurdere styrken af sammenhængene mellem parodontitis og demens.
Risikoen for at udvikle demens er tydeligt
højere hos personer
med svær parodontitis
Analysen af samtlige studier viste, at der er en klar sammenhæng mellem parodontitis og demens. Resultaterne viste en OR på 2.26 (95% CI, 1.65-3.09; P < 0,0001) og en HR på 1.15 (95% CI, 1.04-1.27; P = 0,0006). I forhold til sværhedsgraden af parodontitis kom forskerne frem til, at risikoen for at udvikle demens er tydeligt højere hos personer med svær parodontitis (OR = 2,85; 95 % CI, 2,16-3,74; P = 0,038), men ikke hos de patienter med mildere former af sygdommen.
Især havde patienter med svær parodontitis en 6,87 gange højere risiko for Alzheimers demens (95 % CI, 2,55-18,54; P = 0,04) og en 2,92 gange højere risiko for kognitiv svækkelse i form af hukommelses- og koncentrationsproblemer (95 % CI, 2,15-3,96; P = 0,36).
På baggrund af resultaterne konkluderer forskerne, at den tydelige sammenhæng mellem parodontitis og demens understreger betydningen af at behandle og forebygge parodontitis i tide for dermed også at nedsætte risikoen for demens senere i livet.

Tyggegummi kan blive et nyt våben mod virussygdomme
DER FINDES ENDNU INGEN VACCINE mod herpes (HSV), og influenzavacciner giver ofte kun kortvarig beskyttelse. Samtidig smitter mange virus lettere gennem munden end gennem næsen.
Men nu har en gruppe forskere fra USA og Finland fundet frem til, at tyggegummi indeholdende et naturligt virusbindende protein (FRIL) kan fange og neutralisere virus direkte i munden. Forskningen viste, at FRIL er stabilt – både i bønnepulver og i tyggegummi – i over to år ved stuetemperatur. Tests viste, at tyggegummiet var rent for bakterier og skimmelsvampe og havde lavt vandindhold. Når man tyggede det, blev mere end halvdelen af proteinet frigivet inden for 15 minutter.
I laboratorieforsøg kunne tyggegummiet binde og neutralisere både influenza- og herpesvirus i høj grad. Når man udtrak de aktive stoffer (FRIL-proteinet) fra tyggegummiet og testede det i laboratoriet, kunne det fange mellem 75 % og 94 % af herpesvirus (type 1 og 2). Den mængde FRIL, der kan tilsættes et enkelt tyggegummi, er rigeligt til at opnå en stærk antiviral effekt og er også uden uønskede stoffer.
Resultaterne peger på, at tyggegummi med FRIL kan gå hen og blive et enkelt og sikkert middel til at reducere smitte med virus hos mennesker, men at det kræver yderligere kliniske studier på mennesker.
Kim DH, Han GS. Periodontitis as a risk factor for dementia: a systematic review and meta-analysis. J Evid Based Dent Pract 2025;25:102094.
Daniell H, Guo Y, Singh R et al. Debulking influenza and herpes simplex virus strains by a wide-spectrum anti-viral protein formulated in clinical grade chewing gum. Mol Ther 2025;33:184-200.
Gendan skadede tænder og tandkød med væv fra patientens egen mund
STAMCELLER FRA MUNDENS EGNE VÆV (OMSC’er) har et stort potentiale til at reparere og gendanne skadede tænder og tandkød. Elektrisk stimulering (ES) er en metode, der kan påvirke cellernes adfærd – fx hvordan de bevæger sig, vokser og udvikler sig. ES bruges i stigende grad til at forbedre effekten af disse stamceller.
Sådan lyder konklusionen i en ny artikel. På baggrund af den eksisterende litteratur på området giver en gruppe portugisiske forskere et grundigt indblik i, hvordan OMSC’er reagerer på elektrisk stimulering, hvilken rolle det kan spille i regenerativ tandpleje, og hvilke nye fremskridt der er gjort inden for området.
Artiklen beskriver, hvordan ES fremstår som et lovende redskab til at forbedre regeneration ved hjælp af OMSC-metoder. Tandvæv udviser iboende elektromekaniske egenskaber, som spiller en afgørende rolle i deres biomekaniske adfærd, biologiske signalering, remodellering og heling. Både jævnstrøms- og vekselstrømsfelter DC og AC EF samt pulserende elektromagnetiske felter (PEMF) har vist lovende resultater i studier med OMSC-metoder.
Forskerne påpeger, at der dog er flere udfordringer med behandling baseret på ES. Det drejer sig bl.a. om mangel på standardiserede protokoller, og at det er nødvendigt at sikre sikkerhed, effektivitet og klinisk anvendelighed.
Kommentar

SALLY DABELSTEEN
Hvis udfordringerne skal løses, så ESmetoden kan implementeres i den kliniske hverdag, er det ifølge forskerne nødvendigt at optimere ES-parametre og ensrette de metoder, som man bruger ES til. Det skal ske gennem tværfagligt samarbejde mellem bioingeniører, molekylærbiologer og klinikere.
Pires R, Santos MS, Miguel F et al. Electrical stimulation of oral tissue-derived stem cells: unlocking new potential for dental and periodontal regeneration. Cells 2025;14:840.
Lektor, ph.d., forfremmelsesprogrammet, Odontologisk Institut, Københavns Universitet
Den aldrende befolkning og ønsket om at bevare vores tandsæt længst muligt har givet grobund for forskning, ikke kun inden for implantater, men også regeneration af tandvæv ved brug af stamceller. Dette review diskuterer brugen af elektrisk stimulation (ES) af stamceller til regeneration af pulpa og parodontiet. Studier har vist, at ES af stamceller af forskellig oprindelse (pulpale, parodontale, knogle, embryonale og fra primære tænder) kan differentiere til odontoblastlignende celler og osteoblaster. De er mindre immunogene og kan potentielt bruges til allogen transplantation. Studiet beskriver ES som et biologisk rele-
vant signal, der fremmer osteogenese via påvirkning af membranpotentiale, ionkanaler og aktiveret signalering af knoglemodulerende proteiner og gener. Elektroaktive materialer skaber elektriske mikromiljøer, der potentielt kan aktiveres af tygning for at øge regeneration af dentin-, pulpa- og parodontale defekter samt forbedre implantatintegration. Artiklen påpeger et behov for at undersøge metoden nærmere - både i laboratoriestudier og på klinikken.

Ny nåletype velegnet til skylning af rodkanal
EN NYUDVIKLET multiventileret polymerkanyle er sammen med en almindelig åben metalkanyle bedst til at komme dybt ned i rodkanalen og ligeledes til at få skyllevæsken dybt ned. Det viser et studie fra Odontologisk Institut på Københavns Universitet, hvor man har sammenlignet en ny type kanyle af plastik med flere huller (multiventileret polymerkanyle, hvor kanylens ene kanal udmunder i spidsen og de to andre længere oppe på kanylen) med tre andre mere almindelige kanyletyper: En åben metalkanyle, en sideventileret plastkanyle og en metalkanyle med hak. Studiet testede også, om det gjorde en forskel at supplere skylleproceduren med manuel dynamisk aktivering (MDA), hvor skyllevæsken aktiveres med en masterpoint til sidst.
I alt blev 120 mesiale rødder fra underkæbens molarer brugt. Forskerne målte, hvor langt ned i rodkanalen kanylerne kunne komme, og hvor langt ned skyllevæsken nåede – både med og uden MDA.
Den multiventilerede polymerkanyle havde en signifikant dybere kanylepenetration sammenlignet med de andre testkanyler. Den dybeste penetration af skyllevæsken blev opnået med den multiventilerede polymerkanyle og den åbne metalkanyle. Men når MDA blev tilføjet, nåede væsken endnu dybere, uanset hvilken kanyle der blev brugt. Forskerne konkluderer derfor, at den optimale skylleprocedure kan opnås ved brug af den multiventilerede polymerkanyle eller den åbne metalkanyle i kombination med MDA.
Billedet er gengivet med tilladelse fra Torben Anker Lenau, Danmarks Tekniske Universitet.

Hussain S, Bjørndal L, Markvart M. In vitro assessment of needle and irrigant penetration when using different irrigation needle tips. Biomater Investig Dent 2025;12:42896.
Spørgeskema om smerte fungerer dårligt i Danmark
DET ER VIGTIGT, at de studerende på sundhedsuddannelserne lærer om smerte og dens behandling. Neurophysiology of Pain Questionnaire (NPQ) er et spørgeskema, der ofte bruges til at teste viden om smertens neurofysiologi. Men kan det tilpasses danske forhold? Og hvordan virker det? En gruppe danske forskere har set nærmere på NPQ, og de kommer til en klar konklusion: Den danske version af NPQ fungerede ikke godt nok til at vurdere danske fysioterapi-, medicin- og tandlægestuderendes viden om smertens neurofysiologi.
For at nå til konklusionen oversatte og tilpassede forskerne NPQ til dansk efter internationale retningslinjer. Derefter blev det testet på 224 danske bachelorstuderende fra de tre sundhedsuddannelser, hvor det blev undersøgt, hvor godt spørgsmålene hang sammen, om testen gav stabile resultater over tid, og hvor præcist måleredskabet var.
Den danske version af NPQ udviste utilstrækkelig strukturel validitet
Testene viste, at den danske version af NPQ udviste utilstrækkelig strukturel validitet, lav intern konsistens og begrænset reliabilitet blandt bachelorstuderende på sundhedsuddannelserne. Forskerne fandt ikke tegn på, at testen var for nem eller for svær for de studerende.
På baggrund af forskningen er NPQ i sin nuværende form derfor ikke egnet til at vurdere viden om smertens neurofysiologi i denne population. Der er behov for enten videreudvikling af NPQ eller udvikling af alternative måleredskaber, skriver forskerne.

Agger N, Stæhr TAB, Rathleff MS, Baad-Hansen L, Boudreau S, Christiansen DH. Cross-cultural adaptation, validity, and reliability of the danish version of the neurophysiology of pain questionnaire. J Patient Rep Outcomes 2025;9:62.

www.kavo.com/en-no

Tema: Syndromer, som påvirker den orale sundhed –
del 2
Idette nummer af Tandlægebladet og Tannlegeforeningens Tidende sætter vi atter fokus på forskellige orale sundhedsudfordringer og deres behandling ved sjældne diagnoser. Artiklerne, som publiceres i denne udgave, omhandler diagnoser, der i særlig grad rammer kraniet, mundhulen og de hårde tandvæv samt protetiske aspekter ved behandling af patienter med sjældne diagnoser.
Vi håber, dette særlige fokus på sjældne diagnoser i dette efterår bidrager til at øge tandplejepersonalets bevidsthed om disse patienter, og at man får øje på den vigtige rolle, vi spiller i tværfaglige teams.
I tandplejen har vi en unik mulighed for at opdage tegn på sjældne diagnoser ved at beskrive udviklings forstyrrelser i tænder og kæber. Gennem et godt samar bejde mellem tandplejen og den øvrige sundhedssektor kan vi også bidrage til avancerede behandlingsforløb og dermed medvirke til, at patienterne opnår så optimal sundhed som muligt.
Når det kommer til stykket, er det allervigtigste må ske at forstå betydningen af at sætte sig ind i de sjældne diagnoser, patienterne har. Det er en stor udfordring for disse patienter at stå alene i mødet med sundheds
sektoren. Hvis man læser lidt op på aktuelle diagnoser og desuden anerkender patienternes erfaringer og viden om egen situation, skaber man tillid og tryghed og bidrager til reel brugerinddragelse.
Desværre er en artikel til temaet om kirurgisk behandling af kraniofaciale misdannelser blevet forsin -


ABSTRACT
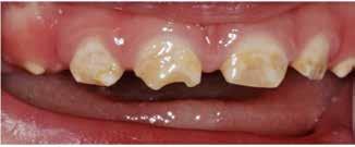
En til to pr. 1.000 nyfødte har læbe-gane-spalte (LGS), og hos langt de fleste er det den eneste medfødte defekt. Hos en mindre del af individer med LGS optræder dette dog som led i et syndrom. Dette kaldes syndromal LGS. Ved syndromal LGS behandles spalten på samme måde som hos nonsyndromale patienter. De har dog en række andre anomalier, som også skal behandles; derfor er det samlede behandlingsforløb mere omfattende. Da patienter med syndromal LGS (ligesom ved nonsyndromal LGS) går til almindelig undersøgelse, kontrol og tandbehandling hos egen kommunale tandpleje/tandlæge som alle andre patienter, er det vigtigt som tandlæge at have kendskab til denne patientgruppe.
EMNEORD
Cleft lip-palate | syndromes | teeth
Syndromal læbe-gane-spalte
LINDA PLOVMAND JAKOBSEN, overlæge, ph.d., Afdeling for Plastikkirurgi og Brandsårsbehandling, Hoved-Orto-Centeret, Rigshospitalet, København.
NUNO VIBE HERMANN, lektor, tandlæge, dr.odont., ph.d., Pædodonti og Klinisk Genetik, Odontologisk Institut, Det Sundhedsvidenskabelig Fakultet, Københavns Universitet.
Accepteret til publikation den 30. oktober 2024 Tandlægebladet 2025;129:729-36
LÆBESPALTE +/-GANESPALTE, også kaldet læbegumme-gane-spalte (LGS), er den hyppigst medfødte ansigtsmisdannelse med en incidens på 12/1.000 nyfødte (1,2). LGS kan ud over at give kosmetiske problemer have stor indflydelse på individets evne til at indtage føde og tale, og det er derfor vigtigt, at den normale anatomi i området rekonstrueres så vidt muligt.
Danmark er det land i verden, hvor LGS længst har været pålideligt registreret. Patienterne har og har haft ret til gratis, standardiseret og centraliseret behandling siden 1930’erne, hvilket betyder, at al tandbehandling af patienten (som er relateret til spaltemisdannelsen og følger heraf, eksempelvis indsættelse af fx tanderstatning i spalteområder) er gratis og foretages på ét af de to læbe-gane-spalte-centre i Danmark. Når en patient har læbe-gane-spalte som del af et syndrom, vil de øvrige medfødte anomalier betyde, at patienten følges og behandles for disse i de relevante hospitals- og sundhedsteams. Ofte vil den syndromale læbe-gane-spalte betyde, at der er andre anomalier i ansigt og kranie, som skal behandles. Disse patienter vil derfor blive behandlet i de kraniofaciale teams ved universitetshospitalerne, der inkluderer specialister fra mange forskellige specialer. I tillæg følges patienten hos egen tandlæge, som varetager de almindelige tandeftersyn og behandlinger, herunder fx mundhygiejnekontrol, cariesterapi osv. Det er derfor en vigtig relevant tilstand at kende til som tandlæge for at kunne forstå og manøvrere korrekt i forbindelse med diverse behandlingsforløb.

Korrespondanceansvarlig sidsteforfatter: NUNO VIBE HERMANN nuno@sund.ku.dk
LGS er af multifaktoriel oprindelse, hvor både miljø og især genetik bidrager (3,4). I visse tilfælde optræder spaltemisdannelse som en del af et syndrom. Et syndrom er betegnelsen for en række misdannelser, som næsten altid forekommer samtidig og formodes at have samme årsagsmæssige sammenhæng. Når spaltemisdannelsen optræder som led i et syndrom, kaldes det
for syndromal LGS, mens LGS som ikke er del af et syndrom, kaldes for nonsyndromal LGS. De fleste spaltemisdannelser er nonsyndromale. Selvom syndromal LGS er sjældent forekommende, er det dog relevant at have kendskab til som tandlæge, da disse i lighed med alle andre patienter skal have varetaget deres almindelige tandsundhed ude i børne- og ungdomstandplejen og i almen privat praksis, da det kun er de mere specialiserede behandlingstyper, der centraliseres. Denne artikel vil derfor gennemgå nogle af de hyppigst forekommende syndromer, hvor LGS er en del af spekteret. Artiklen er baseret på et udvalg af engelsksproget international litteratur inden for emnet.
BAGGRUND OG PRINCIPPER FOR LGS-BEHANDLINGEN I DANMARK
I Danmark er der som ovenfor nævnt lang tradition for centraliseret og specialiseret omsorg og behandling af individer født med LGS. Således vil familien få tilknyttet en specialsundhedsplejerske, som allerede besøger familien inden for 24 timer efter fødslen af et barn med LGS.
Da LGS typisk er en tilstand, som kan betyde såvel æstetiske som funktionelle udfordringer i ansigt, kæber og mundhule, vil familien kort efter fødslen (udover specialsundhedsplejersken) blive henvist til et specialteam af plastikkirurger, ørenæse-hals-læger, specialtandlæger (ortodonti), talepædagoger og psykologer fra et af de to læbe-gane-spalte-centre i Danmark (København og Aarhus), der registrerer LGS-patienter, og hvor mange af de individuelle behandlingsforløb, der er relateret til spaltemisdannelsen, planlægges og foretages. Selve kirurgien foregår primært på Plastikkirurgisk afdeling på Rigshospitalet og foretages af et specialistteam. Hvis der er tale om syndromal LGS, følges patienten også oftest i et kraniofacialt team, som både findes på Rigshospitalet, København og Skejby Hospital, Aarhus. Her deltager specialister fra relevante specialer til at hjælpe patienten i behandlingerne (fx kæbekirurger, pædiatere, øre-næse-hals-læger, øjenlæger, neurokirurger, plastikkirurger).
Læbe-gane-spalte-centrene er således ”tovholdere” på al behandling af spalteområdet, ortodonti, taleundervisning/ vurdering/planlægning af operationer osv., og alle patienter indkaldes dertil for rutinemæssige ortodontiske undersøgelser efter tre, fem, otte, 12, 16 og 21 år. Almindelig tandbehandling, som ikke er relateret til spalteområdet, foregår hos børne- og ungetandplejen/egen tandlæge, og det betales som vanlig af patienten selv fra det 22. år.
Antallet af behandlingsforløb (herunder kirurgi), den enkelte patient gennemgår, varierer alt efter omfanget af spalten og succesen af behandlingen, men fælles for alle patienter er, at det første kirurgiske indgreb foretages allerede i spædbarnsalderen, og at de herefter fortsat vil have kontakt til specialteamet i børne- og ungdomsårene. Da der er tale om et livslangt behandlingstilbud, betyder systemet også, at man selv som voksen kan få foretaget operationer, hvis man har behov.
EPIDEMIOLOGI
I Danmark er prævalensen af LGS ca. 2/1.000 ved fødselstidspunktet (5). Det totale antal nyfødte varierer derfor med fød -
selstallet. De sidste mange år har antallet ligget på ca. 120 nyfødte med LGS om året i Danmark. De fleste børn, der fødes med en form for LGS, har ikke andre misdannelser, dog er der ca. 30 %, som har andre misdannelser, og en mindre del af denne gruppe har også et syndrom (6,7). Det er således kun ganske få børn, som fødes med syndromal LGS om året i Danmark. De andre typer misdannelser, der hyppigst kan ses sammen med LGG, er hjertemisdannelser, hånd- og fodmisdannelser, urogenitale misdannelser og mental retardering (8).
Ved nonsyndromal LGS vil ca. 1/3 af tilfældene være isoleret læbespalte, 1/3 isoleret ganespalte, og den sidste 1/3 er en kombination af læbe- og ganespalte (9).
KLASSIFIKATION
Ansigtet, læbernes, ganens og mundhulens dannelse starter i første trimester. Det foregår ved en nøje afstemt og kontrolleret proces, hvor bestemte typer celler vokser, migrerer hen til specifikke områder og fusionerer. Ved normal udvikling dannes overlæben og præmaksillen 6-8 uger efter undfangelse ved fusion af de laterale næseprominencer/processer og maksilprominencerne/processerne. Ganen dannes et par uger senere
De typiske former for læbespalte

A
B E C
D
Fig. 1. De typiske former for læbespalter: A.-D. Højresidig læbespalte. Stigende sværhedsgrad fra inkomplet til komplet udstrækning. E. Dobbeltsidig komplet læbespalte. Læbespalterne kan optræde isoleret eller i kombination med ganespalte (LGS) (se Fig. 2).
Fig. 1. The typical forms of cleft lip: A.-D. Right-sided cleft lip. Rising degree of severity from incomplete to fully complete. E. Bilateral complete cleft lip. Cleft lip may occur isolated or in combination with a cleft palate (see Fig. 2).
De typiske former for ganespalte

Fig. 2. viser de typiske former for ganespalter: A.-D. Stigende sværhedsgrad fra inkomplet til komplet udstrækning. Ganespalterne kan optræde isoleret eller i kombination med læbespalte (se Fig. 1).
Fig. 2. The typical forms of cleft palate: A.-D. Rising degree of severity from incomplete to fully complete. Cleft palate may occur isolated or in combination with a cleft lip (see Fig. 1).
Van der Woude syndrom

Fig. 3. Spædbarn med Van der Woude syndrom (VWS). Der ses højresidig komplet læbe-gumme-gane-spalte samt fisteldannelse i underlæben.
Fig. 3. Infant with Van der Woude syndrome (VWS) with right-sided complete cleft lip, alveolar, palate and fistula in the lower lip.
end overlæben og præmaksillen ved fusion af de maksillære prominencer/processer. Ved spaltemisdannelse er der sket en forstyrrelse i fusionen af processerne.
Således vil en spalte i overlæben skyldes manglende/inkomplet fusion af næseprominencer/processerne og maksilprominencerne/processerne. Mens en ganespalte skyldes manglende/inkomplet fusion af de to maksillære prominencer/processer. Spalter i overlæbe og gane kan optræde alene eller i kombination. Kombination af spalte i overlæben og ganen kaldes læbe-gane-spalte (LGS) og kan udtrykkes i mange forskellige kombinationer. Processerne er komplekse, og mange gener er involverede (4). Se Fig. 1 og Fig. 2 for de typiske former for LGS.
Ved syndromal LGS er det fysiske udviklingsforløb det samme som ved nonsyndromal LGS, blot forekommer der i tillæg andre udviklingsfejl andre steder i kroppen, og derfor gælder ovenstående udviklingsprincipper omkring opståen af selve spaltemisdannelsen også for syndromal LGS.
Uanset om der er tale om nonsyndromal eller syndromal LGS, klassificeres disse i henhold til deres oprindelse og deraf følgende placering.
Alle typer af LGS (både nonsyndromale og syndromale) regnes som værende af multifaktoriel oprindelse, dvs. både gene-
tiske og miljømæssige faktorer spiller en rolle (4). Men trods omfattende forskning og identifikation af mange prædisponerende variationer og gener/pathways er det endnu ukendt, præcis hvilke faktorer der udløser udviklingen af spaltedannelsen hos det enkelte individ.
ÆTIOLOGI
De fleste former for LGS har multifaktoriel ætiologi, dvs. både genetik og miljø er involveret i forskellig udstrækning. Man finder typisk ikke egentlige genetiske mutationer i denne gruppe af patienter med multifaktoriel ætiologi. Ved flere typer syndromale LGS er der identificeret genetiske mutationer, men det kan kun forklare årsagen hos 10-15 % af patienterne med LGS. Selvom syndromal LGS er sjældent forekommende, er der beskrevet flere hundrede syndromer, hvor spaltemisdannelse kan forekomme som en del af syndromet (ved opslag i OMIM-databasen finder man således 400 beskrevne syndromer, hvor LGS kan være et af de mulige træk ved tilstanden, https://www.omim.org/).
De fleste syndromer skyldes identificerbare mutationer i gener/kromosomer. Disse kan være ny-mutationer (opstået for første gang) eller tidligere kendte mutationer, der medfører en specifik fænotype (dvs. et specifikt klinisk billede). Der er også en mindre gruppe syndromer, som er forårsaget af giftstoffer i miljøet (teratogener), og en gruppe, hvor årsagen er ukendt.
klinisk perspektiv
Som tandlæge er det vigtigt at have kendskab til medfødte og erhvervede anomalier og tilstande, som påvirker tændernes, mundens og kæbernes funktion og udseende, da man i løbet af sin karriere vil møde og varetage den almindelige orale sundhed for alle typer patienter, og alle har de brug for den bedst mulige behandling. Syndromale læbe-gane-spalter er en del af læbe-gane-spalte-spektret, idet nogle individer, der fødes med læbe-gane-spalte, også har andre medfødte anomalier i kroppen. Når læbe-gane-spalte optræder isoleret, gennemgår patienterne et velkendt standardiseret behandlingsforløb, der med få variationer er ganske forudsigeligt. Ved syndromal læbe-gane-spalte er situationen typisk mere kompliceret, og det er derfor vigtigt som behandler at forstå patientens udfordringer, der er, har været eller kan komme.
Viden fra syndromale LGS kan også bruges til at få viden om de biologiske mekanismer bag ætiologi ved nonsyndromal LGS (10).
Eksempler på velkendte monogent forårsagede syndromer, der inkluderer LGS, er fx Van der Woude syndrom (Fig. 2),
Generelle kliniske træk
Kromosomafvigelse
Van der Woude syndrom (VWS)
Sticklers syndrom
Morfologi
• Hyppighed: 1 ud af 35-100.000 nyfødte
• Kombinationen af underlæbefistler, læbespalte med eller uden ganespalte (CL/P) eller kun ganespalte (CPO).
• Andre træk kan være:
– smal buet gane
– medfødt hjertesygdom
– mislyd og cerebrale abnormiteter
– syndaktyli af hænderne
– ankyloglossi samt sammenvoksninger mellem de øvre og nedre gummer.
• Hyppighed: 1 ud af 7.500-9.000 nyfødte
• Gruppe af sygdomme med forskellige arvelige defekter i kollagen
• Varierende symptomer fra flere organsystemer, hyppigst øjne, ører, knogler og led
• Flad ansigtsprofil pga. underudvikling af overkæbe og næserod. Lille underkæbe (mikrognati), kan være ledsaget af ganespalte som del af Pierre Robins sekvens (mikrognati, ganespalte, glossoptose) eller ganespalte alene uden mikrognati eller tvedelt drøbel
• Graden af mikrognati kan kompromittere vejrtrækningen
• Svær nærsynethed (> 3 dioptrier) fra spædbarnsalderen, risiko for nethindeløsning, degeneration af glaslegeme og grå stær (katarakt)
• Hørenedsættelse hos 40 %
• Lavere højde end forventet ud fra det familiære potentiale
• Hypermobile led i barndommen
• Tidligt begyndende leddegigt med røntgenforandringer, evt. stive led
Tabel 1 fortsættes næste side
Generelle kliniske træk
Kromosomafvigelse
EctrodactylyEctodermal DysplasiaClefting (EEC) syndrom
Morfologi
• Hyppighed: 1 ud af ca. 1,5 million nyfødte
• Medfødt tilstand karakteriseret ved misdannelser af hud, hår, tænder og kirtler, af hænder og fødder og af læbe og gane
• Typisk manglende 3. stråle og deraf følgende klo-lignende hænder og fødder (split hand/foot).
• Svømmehud mellem eller sammenvoksede fingre/tæer (syndaktyli)
• Lys, tør hud
• Sparsom vækst af hår, øjenbryn og -vipper
• Abnormt udviklede negle
• Manglende eller underudviklede kirtler (sved, talg, tåre, spyt, hypofyse)
• Nedsat evne til at svede (hypohidrose) kan føre til episoder med livstruende høj feber
Treacher Collins syndrom
• Hyppighed: 1 ud af ca. 50.000 nyfødte
• Underudvikling af kindben og underkæbe, ofte ledsaget af problemer med vejrtrækning/søvnapnø
• De trange pladsforhold giver problemer med at trække vejret, tungen har let ved at falde tilbage og lukke for luftvejene. Forværres ved infektioner, hyppig snorken og risiko for stop af vejrtrækning under søvn (søvnapnø). Kan komplicere synkning og dermed ernæring
• Manglende, små eller misdannede ydre ører (mikroti) med manglende eller tæt ydre øregang, der kan give nedsat hørelse
• Ofte spaltemisdannelse af nedre øjenlåg og sparsomme eller ingen øjenvipper
• Underudvikling af kindben giver fladt midtansigt med vigende kinder, fremtrædende næse og øjenspalter der skråner nedad
• Misdannelser af nedre øjenlåg og sparsomme eller manglende øjenvipper
• Nedsat syn
• Ganespalte
• Vækst af hår på kinden foran ørerne frem mod kindbenene
Aperts syndrom
• Hyppighed: 1 ud af ca. 65-160.000 nyfødte
• Misdannelser af kranie og ansigt samt af fingre og tæer
• For tidlig lukning (kraniosynostose) af kraniets knoglesømme (suturer), og hjernens vækst fører til abnorm facon af ansigt og kranium
• Risiko for øget intrakranielt tryk (hydrocephalus) pga. hjernens vækst og de begrænsede pladsforhold
• Flade øjenhuler og udstående øjne (proptosis) med stor indbyrdes afstand (hypertelorisme), nedad-udad-hældning af øjenspalter
• Skelen, øget tryk i øjnene med risiko for synstab og risiko for udtørring af hornhinder ved proptosis.
• Kronisk mellemørebetændelse med risiko for nedsat hørelse
• Hypoplasi af mellemansigt, flad ansigtsprofil og snævre pladsforhold i næsesvælg og øvre luftveje, vejrtrækningsproblemer, risiko for søvnapnø, også hos voksne
• Smal gane, ganespalte eller tvedelt drøbel (bifid uvula)
• Fremtrædende underkæbe (mandibulær prognati)
• Forsinket frembrud af tænder, trangstilling og afvigende bidforhold
• Hel eller delvis sammenvoksning (syndaktyli), hos de fleste af 2.-4. fingre/tæer, hos nogle af alle fingre/tæer samt negle.
• Sammenvoksning i rygsøjlen (oftest af C5 og C6)
• Nedsat bevægelighed, især af albuer, skuldre, hofter, rygsøjle, og stivhed af led i hænder og fødder
• Hjerte-kar (VSD, overridende aorta)
• Mave-tarm (øsofagusatresi, pylorusstenose)
• Nyrer-urinveje, kønsorganer
• Misdannelser i hjernen (bl.a. agenesi af corpus callosum). De fleste har dog normal intelligens eller let udviklingshæmning.
• Psykiske problemer i varierende grad og evt. udviklingshæmning og indlæringsproblemer.
Tabel 1 fortsættes næste side
Generelle kliniske træk
Kromosomafvigelse
Crouzons syndrom
Morfologi
• Hyppighed: 1 ud af ca. 25.000 nyfødte (2-3 børn om året)
• For tidlig lukning (kraniosynostose) af nogle af kraniesømmene (suturer) mellem kraniets og mellemansigtets knogler. Forstyrrer den normale vækst og fører til ændret form af kranium og ansigt
• Kraniet kan få forskellige afvigende former afhængigt af de involverede suturer/synkondroser og tidspunktet for kraniosynostosen, og af om kraniosynostosen skaber forøget tryk i hjernen (hydrocefalus)
• De typiske træk er fremstående (exophthalmus) og udadskelende (exotropi) øjne, stor afstand imellem øjnene (hypertelorisme) og indsunken næserod
• Mellemansigtets knogler og bløddele er som regel mangelfuldt udviklet med en lille overkæbe. Underkæben virker fremstående
• Forhøjet tryk i hjernen (hydrocefalus) medfører hovedpine, forstyrrelser af synet, urolig søvn, opkastninger og/eller nedsat appetit. Forhøjet tryk i hjernen kan også føre til svind af synsnerven (opticusatrofi) med nedsat syn/blindhed
• Nedsat hørelse hos 74 %. Det skyldes oftest forsnævring af den ydre øregang, som forringer overførsel af lyd til det indre øre. Sjældnere er den ydre øregang helt lukket. Der kan også være misdannelser af de små knogler i mellemøret og nedsat funktion af sneglen i det indre øre. Forsnævring af det eustakiske rør kan medføre øget risiko for mellemørebetændelse
• De øvre luftveje er næsten altid snævre på grund af vækstforstyrrelsen af kraniets bund og overkæben
• Drøbelen kan være spaltet som tegn på skjult ganespalte
• Den begrænsede plads i næse og næsesvælg kan føre til lukket snøvl og andre udtalevanskeligheder. Desuden kan forkølelser udvikle sig til betændelse i bihulerne. Vejrtrækningen kan også være besværet af problemer i de øvre og nedre luftveje (koanalatresi/stenose, trakeomalaci, laryngomalaci)
• Nogle har søvnapnø, dvs. perioder under søvn, hvor barnet eller den voksne ikke trækker vejret og derfor ikke optager tilstrækkelig ilt. Søvnapnøen kan være ledsaget af udtalt tendens til at svede og hovedpine, når personen vågner samt koncentrationsbesvær og træthed i løbet af dagen
• Hænder og fødder er som regel normale
• Omkring 25 % har sammensmeltning af hvirvellegemer i rygsøjlen, oftest i halsen (C2-3)
• Normal intelligens
Kabukis syndrom
22q11 deletions syndrom
• Hyppighed: 1 ud af ca. 32.000 nyfødte
• Særprægede ansigtstræk, let til moderat udviklingshæmning, forsinket vækst efter fødslen og lette misdannelser af skelettet
• Andre medfødte misdannelser kan forekomme i hjerte, kønsdele og urinveje, læbe-gane, mavetarmkanal, øjne og tænder
• Kabuki-syndrom kan være ledsaget af betydelig sygelighed, men på langt sigt er prognosen god
• De fleste tilfælde skyldes nyopståede genfejl
• Hyppighed: 1 ud af ca. 2.000 nyfødte (15-30 børn om året)
• Medfødt hjertefejl hos 2/3. Årsag til ca. 90 % af dødsfald hos børn med 22q11DS, det skønnes at 5 % af alle børn med medfødt hjertefejl har 22q11DS
• Medfødte misdannelser i andre organsystemer, herunder luftveje, mave-tarm-system, nyrer og urinveje, centralnervesystem
• Forskellige grader af ganespalter hos 2/3, tvedelt drøbel (bifid uvula), submukøs/inkomplet/komplet ganespalte. Det skønnes, at 8 % af børn med isoleret ganespalte har 22q11DS.
• Ansigtsdysmorfi (påfaldende ansigtstræk). Aflangt ansigt med smalle øjenspalter, let forøget øjenafstand, bred næseryg og små ydre ører og nedsat hørelse
• Generelt vækst- og trivselsproblemer med lille højdevækst (væksthormonmangel)
• Skoliose (idiopatisk type)
• Risiko for fedme i puberteten
• Lavt kalkindhold i blodet (hypokalcæmi), som skyldes varierende grad af aplasi/hypoplasi af parathyreoidea (biskjoldbruskkirtler). Kan debutere/starte neonatalt med tetani (muskelkramper) eller uspecifikke sutte- og trivselsproblemer. Kan hos voksne blive udløst af stress
• Infektionstendens, som skyldes manglende udvikling eller underudvikling af brislen (thymus), der producerer T-celler
• Autoimmune sygdomme (bl.a. juvenil reumatoid artrit, hypotyreose, vitiligo), epilepsi hos 15 %
• Let udviklingshæmning er almindeligt
• Indlæringsbesvær – 75 % af voksne har kognitive defekter
• Psykiatriske problemer hos unge og voksne: angst, skizofreni, bipolær lidelse, obsessiv-kompulsiv sygdom og autismespektrum-forstyrrelser
• Parkinsons sygdom med tidlig debut
Generelle kliniske træk
Kromosomafvigelse
WolfHirschhorns syndrom
Trisomi 13/ Pataus syndrom
Morfologi
• Hyppighed: 1 ud af 20-50.000 nyfødte
• Stor variation mellem forskellige patienter og afhænger delvist af deletionens størrelse
• Over 75 % af patienterne har påfaldende ansigtstræk, forsinket vækst, udviklingshæmning, epilepsi og slaphed i musklerne
• Typiske ansigtstræk omfatter: en bred næserod, som fortsætter op i panden (“græsk krigerhjelm”), trækket aftager ved puberteten, lille hovedomfang (mikrocefali), stor øjenafstand (hypertelorisme), kraftige øjenbryn, epicanthus (mongolfolder (i øjenkrogen), kort filtrum, nedadvendte mundvige, lille underkæbe (mikrognati), misdannede ører med fordybninger i huden (pits) eller tags
• Hyppighed: 1 ud af 8-13.000 nyfødte
• Medfødte hjertefejl hos 80 % (ASD, VSD, dekstrokardi)
• Bugvægsdefekt (omfalocele)
• Misdannelser af indre organer (nyrer og urinveje, tarm, lever, bugspytkirtel, livmoder)
• Læbe-gane-spalte, ofte dobbeltsidig og svær, hos 50-80 %
• Lille hovedomfang (mikrocefali)
• Små eller manglende øjne (mikroftalmi, anoftalmi, kolobom)
• Lille øjenafstand (hypotelorisme)
• Holoprosencefali hos 70 % (misdannelse af hjernen)
• Andre misdannelser af centralnervesystemet og neuralrør
• Ekstra fingre og tæer (postaksial polydaktyli) hos 50 %
• Huddefekter af skalpen hos 30 % (aplasia cutis)
Triosmi 18/ Edwards’ syndrom
• Hyppighed: 1 ud af 6.000 nyfødte
• Væksthæmning både før og efter fødslen
• Vejrtrækningsproblemer
• Lille hovedomfang (mikrocefali), med smalt, aflangt kranium (dolikocefali)
• Smalle øjenspalter, evt. med hængende øjenlåg (ptose). Lavtsiddende, malforme ører
• Lille underkæbe (mikroretrognati) og mund
• Knyttede hænder med overliggende fingre (anden finger over tredje, femte over fjerde), mangelfuldt udviklede negle
• Klumpfødder eller fødder med markant hælben hos omkring 50 %, evt. sammenvoksning af anden og tredje tå
• Nogle patienter har også misdannelser af nyrer og hjerte
• Problemerne med vejrtrækning og medfødt hjertesygdom kan være livstruende
• Svær udviklingshæmning
• Et mindretal af patienter har kun trisomi 18 i en del af kroppens celler, mens de øvrige celler har det normale antal kromosomer (mosaik). Symptomerne hos disse patienter med mosaik varierer meget
Tabel 1. De generelle syndromale træk, som er rapporteret ved de almindeligste forekommende syndromer (4,11). https://www.ncbi.nlm.nih.gov/omim/, https://www.sundhed.dk/sundhedsfaglig/laegehaandbogen/).
Table 1. The general syndromal features reported in the most common syndromes (4.11). https://www.ncbi.nlm.nih.gov/omim/, https://www.sundhed.dk/sundhedsfaglig/laegehaandbogen/).
Forekomst af misdannelser
Kromosom-afvigelse Neonatale tænder
Van der Woude syndrom (VWS)
Sticklers syndrom
EctrodactylyEctodermal DysplasiaClefting (EEC) syndrom
Treacher Collins syndrom
Aperts syndrom
Crouzons syndrom
Kabukis syndrom
22q11 deletions syndrom
Wolf-Hirschhorns syndrom
Trisomi 13/ Pataus syndrom
Triosmi 18/ Edwards’ syndrom
Oligodonti Agensi > 6 tænder Mikrodonti Makrodonti Emaljeforandringer
Midtstillet central incisiv
Form forandring tænder
Trangstilling Malokklusion
+(overtal + undertal)
Tabel 2. Forekomst af forskellige tanddannelses-, tandstillings-, tandfrembruds- og kæbeforstyrrelser ved de hyppigst forekommende syndromer med læbe-gane-spalte (11,12). https://www.ncbi.nlm.nih.gov/omim/, https://www.sundhed.dk/sundhedsfaglig/laegehaandbogen/).
Tegnforklaring i tabellen: + betyder forekommer/er beskrevet, - betyder forekommer ikke/ej beskrevet.
Table 2. Prevalence of various tooth formation, tooth position, tooth eruption and jaw disorders in the most common cleft lip syndromes (11,12). https://www.ncbi.nlm.nih. gov/omim/, https://www.sundhed.dk/sundhedsfaglig/laegehaandbogen/).
Legend in the table: + means occurs/is described, - means does not occur/is not described.
Stickler syndrom, Ectrodactyly-Ectodermal Dysplasia-Clefting (EEC) syndrom, Treacher Collins syndrom, Aperts Syndrom, Couzons syndrom, Kabukis syndrom og Pfeiffers Syndrom.
Eksempler på kromosomale ubalancer, der kan medføre syndromer, som inkluderer LGS, er 22q11 deletions syndrom (eller velokardiofacial syndrom eller DiGeorge syndrom), WolfHirschhorns syndrom og Trisomi 13 (Pataus syndrom) og trisomi 18 (Edwards syndrom).
Tabel 1 angiver de generelle syndromale træk/afvigelser fra normalmorfologien, som er rapporteret ved de ovenstående syndromer.
De fleste af ovenstående syndromer præsenterer sig i tillæg med forskellige tanddannelses-, tandstillings-, tandfrembruds- og kæbeforstyrrelser hos patienterne (se Tabel 2). Som det fremgår af Tabel 2, er der store dentale udfordringer for patienter med syndromer med og uden læbe-gane-spalte.
PATIENTTILFÆLDE
Van der Woude syndrom (VWS) er kendetegnet ved en form for LGS samt en eller flere fistler i underlæben. Mutationer i genet IRF6, som ligger på kromosom 1, forårsager VWS, og således er der tale om en syndromal form for LGS med en monogen ætiologi (Fig. 2).
KONKLUSION
Læbespalte +/-ganespalte, også kaldet læbe-gumme-ganespalte (LGS), er den hyppigst medfødte ansigtsmisdannelse med en incidens på 1-2/1.000 nyfødte. Hos en mindre del af individer med LGS optræder dette dog som led i et syndrom. Da patienter med syndromal LGS går til almindelig undersøgelse, kontrol og tandbehandling, er det vigtigt som tandlæge
at have kendskab til denne patientgruppe. Her gives et overblik over syndromale former for LGS og de tandanomalier, der kan høre med.
Pårørende/værge har givet tilladelse til, at figur bringes.
FAKTABOKS
• Læbe-gane-spalte (LGS) optræder oftest isoleret (nonsyndromal LGS).
• 1-2 pr. 1.000 nyfødte har LGS.
• En mindre del af individer med LGS har det som led i et syndrom. Dette kaldes syndromal LGS.
• Ved syndromal LGS behandles spalten på samme måde som hos nonsyndromale patienter. De har dog en række andre anomalier, som også skal behandles, derfor er det samlede behandlingsforløb mere omfattende.
• Prognosen for en patient med syndromal LGS varierer fra syndrom til syndrom.
• Patienter med syndromal LGS går til almindelig undersøgelse, kontrol og tandbehandling hos egen kommunale tandpleje/tandlæge som alle andre patienter.
ABSTRACT (ENGLISH)
SYNDROMAL CLEFT LIP-PALATE
One to two per 1,000 newborns have cleft lip and palate (CLP), and in the vast majority it is the only congenital defect. In a small proportion of individuals with CLP, however, this occurs as part of a syndrome. This is called syndromic CLP. In syndromic CLP, the cleft is treated in the same way as in non-syndromic patients. However, they have a number of
other anomalies that also need to be treated, therefore the overall course of treatment is more extensive. Since patients with syndromic CLP (just like with non-syndromic CLP) have their regular examination, check-up and dental treatment at their own municipal dentist/dentist like all other patients, it is important as a dentist to have knowledge of this patient group.
ARTIKEL INKL. LITTERATUR
Scan og få hele artiklen inkl. litteraturlisten som pdf.



ABSTRACT
Artiklen omhandler individuelt tilpasset tandbehandling for personer med sjældne diagnoser, som ofte har forøget risiko for orale sundhedsproblemer og kan have diverse funktionsnedsættelser, som komplicerer mundhygiejne og behandling. Barrierer som angst for tandbehandling og manglende tilpasning bidrager til, at mange ikke modtager nødvendig behandling, og dette kan have negativ indvirkning på funktion og livskvalitet. Artiklen understreger betydningen af en grundig medicinsk anamnese og kortlægning af patientens behov før behandling. Enkle tiltag som forberedelse, tilpasset kommunikation og stabilisering af patienten kan være afgørende for tryg og effektiv behandling. Samarbejde med pårørende og sundhedspersonale er også centralt for sikring af en helhedsorienteret tilgang. Artiklen præsenterer konkrete teknikker som billedstøtte, stabilisering med puder og spørgeskemaer til kortlægning af behovet for tilpasning. Endvidere inkluderes resurser, som kan bistå med information og behandlingsforslag for patientgruppen. De fremlagte elementer kan forbedre både tilgængeligheden og kvaliteten på tandbehandling for personer med sjældne diagnoser.
Individuelt tilpasset tandbehandling ved sjældne diagnoser
TIRIL BERGGREN, tandlæge, Nasjonalt kompetansesenter for oral helse ved sjeldne diagnoser – Senter for sjeldne diagnoser, enhet munnhelse, Lovisenberg Diakonale Sykehus, Oslo
PERNILLA ÖSTENSON, overtandlæge, specialist i pedodonti, Nasjonalt kompetansesenter for oral helse ved sjeldne diagnoser – Senter for sjeldne diagnoser, enhet munnhelse, Lovisenberg Diakonale Sykehus, Oslo
MALIK MAHIC, specialfysioterapeut, Nasjonalt kompetansesenter for oral helse ved sjeldne diagnoser – Senter for sjeldne diagnoser, enhet munnhelse, Lovisenberg Diakonale Sykehus, Oslo
OLE RASMUS THEISEN, tandlæge, Nasjonalt kompetansesenter for oral helse ved sjeldne diagnoser – Senter for sjeldne diagnoser, enhet munnhelse, Lovisenberg Diakonale Sykehus, Oslo
Accepteret til publikation den 21. maj 2025
Tandlægebladet 2025;129:738-43
GOD ORAL SUNDHED er en forudsætning for god generel sundhed, funktion og livskvalitet (1). Personer med sjældne diagnoser har forøget risiko for orale sundhedsproblemer som fx alvorlige okklusionsafvigelser, tandagenesier, mineralisationsforstyrrelser og mundtørhed (2). Ligeledes rapporteres ofte om mangelfuld adgang til nødvendig tandbehandling i denne patientgruppe (2).

Korrespondanceansvarlig førsteforfatter: TIRIL BERGGREN tiril.berggren@tako.no
I Norge og i de fleste EU-lande regnes en diagnose som sjælden, hvis færre end én ud af 2.000 personer i befolkningen har tilstanden (3). I Danmark er en sjælden diagnose begrænset til sygdomme, som forekommer hos færre end 1-2 ud af 10.000. Afhængigt af definitionen anslås det, at mellem 1 % og 5,9 % af befolkningen har en af de 7-8.000 sjældne diagnoser, vi kender til. Sjældne diagnoser kan medføre forskellige funktionsnedsættelser, som vanskeliggør mundhygiejne og tandbehandling (4). Funktionsnedsættelser omfatter et bredt spektrum af udfordringer som fx fysiske, sensoriske, intellektuelle, medicinske, emotionelle og sociale svækkelser – eller ofte en kombination af disse (5). Personer med udviklingshæmning har især forøget risiko for nedsat tandsundhed i form af utilstrækkelig mundhygiejne og ubehandlet caries og parodontal sygdom (1). Dertil kommer, at tandsygdomme ofte fører til ekstraktioner frem for restaurerende behandling, og dermed til flere manglende tænder med negativ indvirkning på funktion, æstetik og livskvalitet (1).
Udfordringer som angst for tandbehandling og manglende tilpasning er vigtige årsager til, at mange ikke får den nødvendige behandling (1,6). Der findes imidlertid en række teknikker, som tandplejepersonale kan benytte sig af for at tilbyde en tryg og individuelt tilpasset behandling. Forskellige former for gradvis eksponering er de bedst udforskede (7,8). Samtidig er det vigtigt at understrege, at ikke alle med funktionsnedsættelse har særlige behov (5), og at behandlingen altid skal vurderes i lyset af den enkeltes situation.
Denne artikel giver en oversigt over nogle centrale teknikker, vi benytter ved Senter for sjeldne diagnoser, enhet munnhelse – det nationale kompetencecenter for oral sundhed ved sjældne diagnoser i Norge – for at bidrage til god og tilrettelagt tandbehandling til personer med sjældne diagnoser. Der er tale om relativt enkle tiltag, som kan være afgørende for gennemførelse af behandlingen. Da sjældne diagnoser er en heterogen gruppe af tilstande, har vi valgt at beskrive nogle diagnoseuafhængige metoder, vi ofte benytter ved mødet med udfordringer i den kliniske hverdag. Desuden findes en række andre metoder, som ikke beskrives her.
PRÆSENTATION AF EMNET
Forberedelse til mødet med patienten Medicinsk anamnese
Forskning fra Frankrig og Sverige viser, at personer med sjældne diagnoser ofte møder tandplejepersonale med be -
Nordiske centre for oral sundhed og sjældne diagnoser
Senter Nettadresse Nettressurser
Nasjonalt
kompetansesenter for oral helse ved sjeldne diagnoser -Senter for sjeldne diagnoser, enhet munnhelse
Nasjonaltsenterfor sjeldnediagnoser
Kirurgiskavdeling
Lovisenberg
DiakonaleSykehus
Oslo
Norge
lovisenbergsykehus.no/ tako-senteret
Odontologisk Videncenter Avdelingfor kjevekirurgi Rigshospitalet København Danmark www.rigshospitalet.dk/ afdelinger-og-klinikker/ hovedorto/afdelingfor-kaebekirurgi/ enheder-i-afdelingen/ odontologiskvidencenter
grænset viden om tilstanden, og at behandlerne ikke i tilstrækkelig grad anerkender patientens eller de pårørendes indsigt – en indsigt, som ofte kan være meget værdifuld. Tilgangen til behandling beskrives af mange som vanskelig, og en del bliver henvist til andre behandlere gentagne gange, uden at det fører til bedre opfølgning (6,10). Ydermere rapporteres om mangelfuldt samarbejde mellem forskellige dele af sundhedssektoren, hvilket igen kan føre til en betydelig belastning for patienter og pårørende (9). Årsagerne til disse udfordringer er sammensatte, men en holistisk forståelse af patientens diagnose er et vigtigt udgangspunkt for diagnostik og behandling, især for personer med sjældne diagnoser. Senter for sjeldne diagnoser, enhet munnhelse i Oslo, Odontologisk Videncenter i København og Aarhus samt de øvrige nordiske centre for sjældne diagnoser og oral sundhed (Tabel 1) fungerer som vigtige resurser ved udredning og behandling af sjældne diagnoser. Som regel vil centrene kunne bidrage med uddybende information fra litteraturen samt kliniske erfaringer. Det er også muligt at henvise patienten til en konsultation som udgangspunkt for videre samarbejde om behandling. Endelig findes der flere digitale resurser, som giver oversigt over diagnoser, fx uniketenner.no, som fokuserer på orale fund og tandbehandling, og amerikanske Genetics And Rare Diseases Center på rarediseases.info. nih.gov, som tilbyder mere generel information om et stort antal diagnoser.
• Informasjon om oralmotorisk team og oralmotorikk
• Beskrivelser av et utvalg sjeldne diagnoser og oversikt over hjelpemidler
• Lenker til ressurser som uniketenner.no, sjelden.no med ytterligere informasjon om diagnoser, tilnærming og kurser
• Tverrfaglige konsultasjoner med odontologiske spesialister, logopeder og fysioterapeuter
• Behandling gjøres primært i samråd med tannklinikken der pasienten bor
• Spesialistbehandling i særskilte tilfeller, nært samarbeid med andre sjeldensentre og blant annet kraniofacialt team ved Oslo Universitetssykehus
• Kunnskapsinnsamling, forskning og publisering av informasjon vedrørende sjeldne diagnoser som er relevant for tannhelsepersonell
• Kurs internt og eksternt for tannhelsepersonell, pasienter med sjeldne diagnoser og annet helsepersonell
• Overordnet diagnoseoversikt
• Informasjon om behandlingstilbud ved senteret
• Informasjon om rettigheter og økonomisk støtte ved tannbehandling
• Høyspesialisert rådgivning, utredning og behandling av pasienter med sjeldne sykdommer og orale tilstander i samråd med blant annet kjevekirurgisk avdeling, Københavns Tannlegeskole og kraniofacialt team ved Center for Sjældne Sygdomme
• Systematisk innsamling av kunnskap, erfaringer, og utvikling av nye behandlingsmetoder og protokoller
Nordiske centre for oral sundhed og sjældne diagnoser
Senter Nettadresse Nettressurser
Odontologisk Landsdelsog Videncenter
Avdelingfortann-, munnogkjevekirurgi
Århus
Universitetshospital Århus
Danmark
Mun-H-Center
Nasjonaltorofacialt kunnskapssenter ogdelav
Folktandvårdenog specialisttandvården iVästra
Götalandsregionen
Lokaliserttil Odontologen ogÅgrenska kompetenscentrum
Gøteborg
Sverige
Kompetenscenter för
sällsynta odontologiska tilstånd
Nasjonaltsenterog
delavFolktandvården
RegionJönköpings
län
Odontologiska Institutionen
Jönköping
Sverige
Odontologiskt
Kunskapscentrum i Norr
Nasjonalt senterogdelav specialisttandvården
iFolktandvården
Västerbotten
Norrlands
Universitetssjukhus
Umeå
Sverige
auh.dk/afdelinger/tandmund-og-kabekirurgi/ odontologisk-landsdelsog-videncenter
• Oversikt over behandlingsforløp ved medfødte sjeldne sykdommer og tannmangel
mun-h-center.se
rjl.se/Folktandvarden/ Kompetenscenter-forsallsynta-odontologiskatillstand
• Informasjonsmateriell inkludert
diagnosebeskrivelser, MHC-appen, anbefalinger for odontologisk og oralmotorisk behandling, verktøy for vurdering av oral funksjon, kursoversikt og ulike publikasjoner
• Praktiske hjelpemidler for munnhygiene og oralmotorisk trening
• Informasjon om økonomisk støtte til tannbehandling
• Overordnet beskrivelse av et utvalg sjeldne diagnoser med informasjon om behandling
• Informasjon om ulike tjenester til behandlere og pasienter
• Informasjon om økonomisk støtte til tannbehandling
www.regionvasterbotten. se/organisation-ochverksamheter/tandvard/ specialisttandvarden/ odontologisktkunskapscentrum-i-norr
• Presentasjon av virksomheten
• Lenker til andre klinikker og sentre for sjeldne diagnoser
Tjenester
• Mottar henvisninger vedrørende sjeldne diagnoser fra hele Jylland og Fyn
• Høyspesialisert undersøkelse, utredning og behandling av personer med medfødt tannmangel eller sjeldne sykdommer med manifestasjoner i munnhulen i tett samarbeid med kjevekirurgisk avdeling og Tannlegeskolen i Aarhus
• Forskning og formidling knyttet til sjeldne diagnoser med munnhulefunn
• Tverrfaglige utredninger og behandlinger av odontologiske problemstillinger hos pasienter med sjeldne diagnoser
• Tilvenning til tannbehandling
• Videokonsultasjoner og støtte ved behandling av pasienter med sjeldne diagnoser utført ved lokale tannklinikker
• Kunnskapsinnhenting, dokumentasjon, forskning og utvikling av behandlings- og forskningsmetoder i tillegg til kursvirksomhet
• Undersøkelse, informasjon og rådgivning
• Behandlingsplanlegging i samråd med spesialister ved Odontologiska Institutionen
• Kunnskapsinnsamling, dokumentasjon, forskning og utvikling
• Behandling utføres ved Odontologiska Institutionen eller ved en tannklinikk der pasienten bor
• Utredning, diagnostikk og behandlingsplanlegging
• Samle erfaring og kunnskap for å bedre støtte tannhelsepersonell i møte med pasienter med sjeldne diagnoser
• Behandling gjøres primært ved en tannklinikk der pasienten bor
Tabel 1. De forskellige nordiske centre har som overordnet formål at tilrettelægge et godt tandbehandlingstilbud til personer med sjældne diagnoser.
Table 1. The different Nordic centres for oral health in rare diagnoses aim to facilitate adequate dental support and management for individuals with rare diagnoses.
Individuelle forhold
Udover den medicinske anamnese er det vigtigt at kortlægge behov for tilpasning i tandbehandlingssituationen og mestringsstrategier, som patienten har god effekt af i andre sammenhænge. Kortlægningen (Fig. 1) kan med fordel gennemføres telefonisk inden konsultationen, så individuelt udformede støttetiltag kan udformes, og tandplejepersonalet kan forberede sig til konsultationen.
Resurser omkring patienten
For patienter med sammensatte behov er det ofte afgørende at involvere både omsorgspersoner og andet sundhedspersonale i planlægning, gennemføring og opfølgning af tandbehandling og egenomsorg. Den person, der ledsager patienten til tandlægebesøget, er ikke nødvendigvis den, der er ansvarlig for den daglige mundhygiejne. Et godt samarbejde forudsætter, at sundhedspersonalet anerkender nærpersoners førstehåndsviden om patientens behov og funktionsevne (9). Eksempler på andre naturlige samarbejdspartnere er egen læge, ernæringsfysiolog, logopæd og pædagogisk personale. Ved Senter for sjeldne diagnoser, enhet munnhelse har vi gode erfaringer med at samarbejde med specialpædagoger, som bl.a. kan bidrage til at
15
klinisk relevans
Sjældne diagnoser skaber ofte usikkerhed i tandklinikken, især når behandleren mangler erfaring med diagnosen eller adgang til relevante behandlingsvejledere. Dette kan føre til underbehandling eller fejlbehandling. Enkle tiltag – som forberedelse via tilgængelige resurser, tilpasset kommunikation og stabilisering af patienten – kan gøre det muligt at gennemføre nødvendig behandling på en tryg og god måde.
udarbejde træningsprogrammer for tilvænning til tandrensning og undersøgelse – fx ved at barnet i skolen stifter bekendtskab med spejl og instrumenter inden besøget på klinikken.
Individuel tilpasning på tandklinikken
Billedstøtte
Teknikker for tilpasning og adfærdsstøtte benyttes ofte ved tandbehandling af patienter med kommunikationsvanskeligheder, og en af de mest anvendte metoder er billedstøtte
spørgsmål til kortlægning af behov for tilrettelægning

Fig. 1. Eksempel på spørgsmål til kortlægning af individuelle forhold og resurser omkring patienten.
Fig. 1. Sample questions designed to assess the patient’s individual situation and available resources.
Billedstøtte



2. Billedstøtte fremstillet via bildstod.se, en database, som tilbyder visuelle sekvenser knyttet til tandbehandling, og som kan bruges både inden og undervejs i behandlingen (11,12).
Fig. 2. Visual support created using bildstod.se, a database providing image-based sequences for dental treatment that can support patients both prior to, and during the procedure (11,12).
(11). Billedstøtte indebærer anvendelse af visuelle hjælpemidler – som billeder, illustrationer eller digitale værktøjer – for at forberede patienten på, hvad der skal ske under behandlingen. Hensigten er at skabe forudsigelighed og tryghed gennem visuel historiefortælling, så patienten lettere kan forstå og forberede sig på de forskellige trin i tandbehandlingen. Denne tilgang har vist sig særlig nyttig til at reducere angst og fremme samarbejde hos børn med autismespektrumforstyrrelser (ASD) (11). Samtidig har vi erfaring med, at billedstøtte også fungerer godt for andre patientgrupper med kommunikationsvanskeligheder eller kognitive udfordringer. Fig. 2 viser et eksempel på, hvordan billedstøtte i forbindelse med undersøgelse kan udformes. Alternativt kan man benytte billeder fra egen klinik.
Stabilisering
En god og stabil siddestilling er vigtig af mange grunde. Principper udviklet af Rodolfo Castillo Morales og Kay Coombes beskriver, at kropsholdning er tæt knyttet til sanseoplevelser,
kommunikation og læring (13,14). Når kroppen er stabil – især hoved, nakke og kæbe – kan det bidrage til større accept af berøring, samspil og samarbejde i tandbehandlingssituationen. Fig. 3 og 4 viser, hvordan dette kan gennemføres i klinikken. En tryg og stabil position giver mindre stress og gør det lettere at slappe af, være til stede og lære. Dette er især vigtigt for personer med udfordringer i relation til stabilitet, kropsholdning eller muskelkontrol. Anvendelse af puder og hensigtsmæssig indstilling af tandlægestolen kan give en mere beskyttet position, som forbedrer patientens komfort og fremmer deltagelse i behandlingen.
Rummet og de fysiske forhold
Tandbehandlingssituationen kan være særligt krævende for personer med kognitive udfordringer pga. ukendte lyde, lugte og visuelle stimuli, som kan fremkalde stress og angst (7,11). Derfor er det vigtigt at kortlægge den aktuelle patients udfordringer og tilpasse sig disse. Fx har vi erfaring med, at klinisk
Fig.
Stabilisering af kæben

Fig. 3. En stabil kæbe – fx med støtte fra bidklods – er også vigtig for at gøre behandlingen mere effektiv og mindre belastende.
Fig. 3. Providing jaw stability – for example, with the use of a bite block –helps reducing muscle strain and contributes to a more efficient treatment process.
arbejdstøj, især hvide kitler, kan forøge angst og vægring hos allerede ængstelige patienter med negative erfaringer fra undersøgelse og behandling i sundhedssektoren. Andre eksempler på tilpasning kan være at undgå støj fra radio og telefon, tilbyde solbriller mod skarpt lys og placere patientens ledsager inden for patientens synsfelt.
DISKUSSION
Gennemgang af litteraturen afdækker flere barrierer, som patienter med sjældne diagnoser og sammensatte behov møder i forbindelse med tandbehandling. Trods dette er der kun begrænset videnskabelig dokumentation om, hvilke tiltag der er effektive ved tilpasning af tandbehandlingssituationen for denne heterogene patientgruppe. Artiklen baserer sig derfor i en vis udstrækning på klinisk erfaring samt råd fra fagmiljøer og
Stabilisering af kroppen

Fig. 4. Ved at støtte med puder bag nakken, på siderne af kroppen og under læggene opnås en stilling, som efterligner fosterstillingen. Denne position giver tryghed, reducerer spænding og kan virke beroligende, hvilket gør det lettere for patienten at slappe af og samarbejde under behandlingen. Se mere om praktisk gennemførelse på: sjelden.no/wp-content/uploads/articulate_uploads/Stabilisering Fig. 4. By positioning cushions to support the neck, body, and legs, a posture similar to the fetal position is achieved. This posture promotes a sense of safety, alleviates tension, and can have a soothing effect, making it easier for the patient to relax and engage during the treatment. For more details on practical implementation, visit: sjelden.no/wp-content/uploads/articulate_uploads/Stabilisering
brugerorganisationer. Der er et klart behov for mere systematisk viden for at sikre et ligeværdigt tandplejetilbud til personer med sjældne diagnoser.
KONKLUSION
Enkle, men målrettede tiltag – som grundig anamnese, kortlægning af støttenetværket omkring patienten, tilpasset kommunikation og tilpasning af omgivelserne – kan gøre behandlingen tryggere og bedre tilpasset for patienter med sjældne diagnoser. Ved behov findes der fagmiljøer og resurser, som kan støtte både sundhedspersonale og patienter.
SAMTYKKE
Alle personer på fotografierne har givet skriftligt samtykke til, at samtlige fotografier i artiklen bliver publiceret.
ABSTRACT (ENGLISH)
PERSONALISED DENTAL TREATMENT FOR RARE DIAGNOSES
The article discusses personalised dental care for individuals with rare diagnoses, who often have an increased risk of oral health problems and may have various disabilities that complicate oral care. Barriers such as dental anxiety and inadequate accommodation contribute to a lack of necessary treatment, which can negatively impact function and quality of life. The article emphasises the importance of a thorough medical history and assessing the patient’s ne-
ARTIKEL INKL. LITTERATUR
Scan og få hele artiklen inkl. litteraturlisten som pdf.
eds before treatment. Preparation, tailored communication, and patient stabilisation can be crucial for safe treatment. Collaboration with relatives and healthcare professionals is also central to ensuring a holistic approach. The article presents specific techniques such as visual support, stabilisation with cushions, and questionnaires for assessing accommodation needs. Additionally, it includes resources that can assist with information and treatment suggestions. The presented elements can improve dental care for individuals with rare diagnoses.
ABSTRACT
Tænderne er blevet beskrevet som kroppens fartskrivere. Dette skyldes, at både genetiske forandringer, autoimmune tilstande, tandtraumer, diverse somatiske tilstande, ydre faktorer og miljø kan påvirke amelogenesen og dentinogenesen. Dentale udviklingsforstyrrelser i de hårde tandvæv bør derfor udredes bredt, da de kan have sammenhæng med både sygdom og syndromer.
Et syndrom kan have en genetisk eller ikkegenetisk årsagssammenhæng og kan medføre dentale udviklingsforstyrrelser i de hårde tandvæv – emalje og dentin. Det er vigtigt, at man i tandplejen identificerer mulige sammenhænge mellem dentale udviklingsforstyrrelser og eventuelle ekstraorale symptomer og fund. Det er vigtigt at se ”hele individet” for at kunne opdage eventuelle sammenhænge, idet man dermed kan bidrage til diagnostik af syndromer.
Eksempler er autoimmunt polyendokrint syndrom type 1 (APS1) og cøliaki, tricho-dento-ossøst syndrom og hypofosfatasi.
Som tandlæge bør man forstå betydningen af systematik ved diagnosticering og tværfagligt samarbejde samt i forbindelse med de vurderinger, man må foretage, før man eventuelt rekvirerer genetiske analyser.
Mange patienter vil have behov for individuelt tilpasset opfølgning og behandling hele livet, og tidlig diagnostik er vigtig for at kunne yde den bedste behandling på såvel kort som livslangt sigt for det enkelte individ.
EMNEORD Amelogenesis imperfecta | dentinogenesis imperfecta | syndrome | disease | genetic testing
Genetiske diagnoser, som medfører udviklingsforstyrrelser i emalje og dentin –tandlægens vigtige rolle
ANNE RØNNEBERG, specialist i pædodonti, førsteamanuensis, dr.philos., afdelingsleder ved Avdeling for pedodonti, atferdsfag og rettsodontologi, Institutt for klinisk odontologi, Det odontologiske fakultet, Universitetet i Oslo, Norge
HILDE NORDGARDEN, specialist i pædodonti, dr.odont., afdelingsleder ved Senter for sjeldne diagnoser, enhet munnhelse, Lovisenberg Diakonale Sykehus, Oslo, Norge
Accepteret til publikation den 11. november 2024
Tandlægebladet 2025;129:744-50

EKorrespondanceansvarlig førsteforfatter:
ANNE RØNNEBERG annern@odont.uio.no
T SYNDROM ER ET MEDICINSK UDTRYK for, at en samling af symptomer og tegn ofte optræder sammen, og syndromer kan inddeles på forskellige måder. Typisk skelnes der mellem genetiske og ikkegenetiske syndromer (1). En række genetiske syndromer medfører udviklingsforstyrrelser i emalje og dentin (2). Med denne artikel ønsker vi at understrege vigtigheden af, at tandlæger har indsigt i genetisk betingende tandudviklingsforstyrrelser og identificerer mulige sammenhænge med ekstraorale symptomer og fund. Endvidere ønsker vi at påpege, at tandplejen er en del af sundhedssektoren og kan bidrage til udredning af syndromer og være en del af en tværfaglig behandlingstjeneste for patienter, der har dentale udviklingsforstyrrelser som en del af et genetisk syndrom. Mange patienter vil have behov for individuelt tilpasset opfølgning og behandling hele livet. Vi vil illustrere dette med nogle eksempler på aktuelle syndromer. Syndromerne, som beskrives, er tænkt som eksempler, der kan illustrere betydningen af, at man i tandplejen gennemfører en grundig anamnese og registrerer eventuelle ekstraorale fund hos patienter med dentale udviklingsforstyrrelser.
Amelogenesis imperfecta (AI) og dentinogenesis imperfecta (DI) er de almindeligste genetisk betingede tandudviklingsforstyrrelser, og de er tidligere grundigt beskrevet i Tandlægebladet (3). I de fleste tilfælde af AI og DI drejer det sig om
Amelogenesis imperfecta og dentinogenesis imperfecta med differentialdiagnoser








Fig. 1. Eksempler på amelogenesis imperfecta (AI), dentinogenesis imperfecta (DI) og diverse differentialdiagnoser. A og B. AI hos 1,5 år gammelt barn (autosomal dominant arv). C. DI. D. Småbarnscaries (ECC). E. Kombination af dental fluorose (DF) og molar incisiv hypomineralisering (MIH). F. DF. G. MIH. H. Udiagnosticeret atypisk tandmorfologi og manglende 02+. (Foto: Afd. for pædodonti, Institut for klinisk odontologi, Det odontologiske fakultet, Universitetet i Oslo).
Fig. 1. Examples of Amelogenesis Imperfecta (AI), Dentinogenesis Imperfecta (DI) and differential diagnoses. A and B. AI in a 1.5-year-old child (autosomal dominant inheritance). C. DI. D. Early Childhood Caries (ECC). E. Combination of Dental Fluorosis (DF) and Molar Incisor Hypomineralisation (MIH). F. DF. G. MIH. H. Undiagnosed atypical tooth morphology and missing 52. (Photo: Dep. of Paediatric Dentistry, Institute of Clinical Dentistry, Faculty of Dentistry, University of Oslo.)
Procedurer for udredning af udviklingsforstyrrelser i emalje og dentin

1. GENERELL ANAMNESE
• Anmerkning knyttet til svangerskap, fødsel eller spebarnstid?
• Arvelige sykdommer?
• Generelle sykdommer frem til 8-års alder?
• Alder ved sykdom?
• Drikkevannskilde frem til ca. 8-års alder?
2. SPESIELL ANAMNESE
• Tidligere tanntraumer?
• Lokalt strålebehandlet i hode-halsområdet?
• Tidligere infeksjon i en primær tann?
3. KLINISK UNDERSØKELSE
• Klinisk undersøkelse og bruk av tilpasset index for kartlegging av utviklingsforstyrrelser i emaljen
• Kjeveortopedisk vurdering
• Kliniske foto
• Vurder røntgenologisk undersøkelse, evt. panoramarøntgen for å avdekke:
- retinerte tenner
- displasserte tenner
- agenesier
- anatomi og evt. anormalier av røtter og pulpa
- forhold dentin - emalje og radiolucens
• Spør om pasientens opplevelse av sin munnhelse
- Vektlegg utseende, social funksjon og smerter, Bruk gjerne Wong-Baker Faces smerteskala
4. BEHANDLINGSPLAN OG SAMMHANDLING
• Utarbeide kort- og langsiktig behandlingsplan
• Henvise til kompetansesenter eller annen helsetjeneste?
• Epikrise til fastlege/barneavdeling?
Fig. 2. Procesdiagram for udredning af udviklingsforstyrrelser i emalje/dentin (Illustration af Matias Sandvik, Senter for sjeldne diagnoser, enhet munnhelse). Fig. 2. Process for assessment of developmental disorders in enamel/dentine.
isolerede tilstande, som kun rammer de dentale væv, men i nogle tilfælde er de en del af en medfødt genetisk sygdom eller syndrom (4). Nogle medfødte diagnoser, som fører til udviklingsforstyrrelse i emalje eller dentin, er også tidligere godt beskrevet i Tandlægebladet, nemlig diagnoserne epidermolysis bullosa, fokal dermal hypoplasi, osteogenesis imperfecta og xbundet hypofosfatæmisk rakitis (5). Disse omtales derfor ikke i denne artikel, selvom de alle betegnes som syndromer med betydelig indvirkning på emaljens udvikling.
AI er blevet kategoriseret både efter klinisk billede (fænotype), arvemønster (genotype), molekylære ændringer og biokemisk udfald ved kendt mutation (6). I og med at man i dag sjældent foretager genetiske undersøgelser ved diagnosticering af tandudviklingsforstyrrelser, benyttes ofte en inddeling som beskrevet af Witkorp og Rao med tre hovedgrupper; hypomaturationstype, hypocalcifikationstype og hypoplasitype samt diverse underkategorier (7).
DI inddeles ofte i DI-I, DI-II og DI-III, mens dentindysplasier (DD) inddeles i to hovedgrupper; DD-1 Og DD-2 (3,5,8,9).
De fleste udviklingsforstyrrelser i emalje og dentin påvirker både tændernes udseende (fænotype) og kvalitet. Nogle arvelige tandudviklingsforstyrrelser kan bedst ses radiologisk, fx mildere dentindysplasier (3).
Ved AI vil der ved nogle typer være beskeden alvorlighedsgrad i det primære tandsæt, men ved DI er det oftest omvendt, og primære tænder slides ofte helt ned til gingivaniveau. Begge tilstande har mange forskellige fænotyper, fra helt milde til alvorlige tilstande, og ved DI forekommer også pulpaaffektioner. Tilstandene kan optræde alene eller som en del af et syndrom eller en sygdom (9).
Ved klinisk diagnosticering er det vigtigt at være klar over differentialdiagnoser til de mere kendte genetiske udviklingsforstyrrelser, som fx dental fluorose (Fig. 1E, F), molar incisiv hypomineralisering (MIH) (Fig. 1E, G) (10) og udviklingsforstyrrelser, som er opstået efter lokale påvirkninger i en given periode under tandudviklingen som ved febersygdomme, strålebehandling og tandtraumer. Man må ikke glemme, at caries også er en differentialdiagnose (Fig. 1D). En grundig klinisk undersøgelse med røntgen (hvis klinisk berettiget) samt generel og speciel anamnese er af stor betydning for udredningen af diagnosen (Fig 2). Svangerskab, fødsel, drikkevandskilde (fluoridkoncentration) samt tidlig barndom kortlægges, og tidligere tandtraumer og sygdomme identificeres og journalføres. Desuden bør man kortlægge, om der er familiemedlemmer med lignende fund, da dette giver information om mulig arvegang.
Røntgenoptagelser må granskes for forekomst af retinerede eller displacerede tænder, agenesier, rod- og pulpaanatomi, forholdet dentin-emalje og eventuelle andre patologiske fund. Fundene bør dokumenteres i et tanddiagram med påtegning og gradering af udviklingsforstyrrelser i emaljen samt kliniske fotos. Digitale fotos, som lagres i journalen, kan have stor betydning, da det ofte er lettere at diagnosticere udviklingsforstyrrelser, når man kan forstørre billederne på skærmen. Desuden er fotos vigtige for dokumentation senere i livet, når eventuel behandling har maskeret de oprindelige defekter.
klinisk relevans
Tandlæger og tandplejere i offentlig og privat praksis bør være opmærksomme på forskellige udviklingsforstyrrelser i de hårde tandvæv. Når man i tillæg til en dental udviklingsforstyrrelse ser andre tegn, som kan indikere, at den dentale diagnose er en del af et større klinisk billede som følge af sygdom eller syndrom, er samarbejde yderst vigtigt. En grundig anamnese samt dokumentation med kliniske fotos og eventuelle røntgenoptagelser, før restaureringer udføres, er vigtigt for så tidlig diagnosticering som muligt. Foreløbig findes der kun få genpaneler, som er specifikt rettet mod arvelige dentale udviklingsforstyrrelser. Ikke desto mindre kan genetisk analyse vurderes i samarbejde med regionale eller specialiserede kompetencecentre, som Senter for sjeldne diagnoser, enhet munnhelse (N), MUN-H-Center (S), de odontologiske videnscentre (DK) eller andre relevante sundhedsinstanser.
Tænderne er blevet beskrevet som kroppens fartskrivere. Dette skyldes, at både genetiske forandringer, autoimmune tilstande og miljø kan påvirke amelogenesen og dentinogenesen (11). Ved at se på lokaliseringen af defekterne og sammenholde dette med viden om tandudviklingsstadier ved en given alder vil man kunne sige noget om bagvedliggende årsager. Ved de genetisk betingede AI og DI vil man ikke se sådanne kronologiske sammenhænge, da de to tandsæt vil være afficeret i forskellig grad, og der ikke vil være en klinisk kronologisk sammenhæng.
En oversigt og et forsøg på klassificering af genetisk betingende tandudviklingsforstyrrelser blev publiceret i 2019 (2). Dentale anomalier blev inddelt i otte undergrupper, hvoraf udviklingsforstyrrelser i emalje og dentin udgjorde to. Da artiklen blev publiceret, var der beskrevet 21 gener, som fører til isolerede emaljeudviklingsforstyrrelser, og hele 84 gener, som gav ophav til genetiske syndromer, hvor emaljeudviklingsforstyrrelser er et af flere tegn. Disse diagnoser blev igen inddelt i hudtilstande, øjentilstande, knoglesygdomme, endokrine og gynækologiske tilstande, nyretilstande, intellektuelle udviklingsforstyrrelser, øre-næse-hals-tilstande, immunologiske tilstande og hjertefejl. Der er ikke beskrevet nær så mange gener, som kan give ophav til dentinudviklingsforstyrrelser; fem gener giver isolerede udviklingsforstyrrelser i dentin, og 30 gener er knyttet til diverse knoglesygdomme.
I tilfælde, hvor man diagnosticerer udviklingsforstyrrelser i de hårde tandvæv og desuden observerer andre medicinske fund, er det af stor betydning for individet, at der henvises til andre instanser i sundhedsvæsenet og oprettes dialog og samarbejde med disse. Dette illustrerer vi i forbindelse med de diagnoser, som beskrives i artiklen.
EKSEMPLER PÅ GENETISKE DIAGNOSER, SOM KAN GIVE UDVIKLINGSFORSTYRRELSER I EMALJE OG DENTIN Flere genetiske diagnoser kan påvirke udviklingen af de hårde tandvæv. Vi har i denne artikel valgt at beskrive nogle diag-
Emaljeforstyrrelser ved APS1

Fig. 3. Fotografi af klassiske emaljeforstyrrelser ved APS1, hvor især de incisale/ okklusale dele af tandkronerne er afficeret. (Foto: Senter for sjeldne diagnoser, enhet munnhelse, Lovisenberg Diakonale Sykehus, Oslo).
Fig. 3. Photo of classic enamel defects in APS1, particularly affecting the incisal/ occlusal parts of the tooth crowns. (Photo: TAKO-Centre, Lovisenberg Diaconal Hospital, Oslo).
Tandfund ved Tricho-dento-ossøst syndrom


Fig. 4. Typiske odontologiske fund hos en patient med Tricho-dento-ossøst syndrom. A. Emaljen er meget tynd. B. Taurodonti betyder, at kronepulpa i molarer er forlænget og furkaturen displaceret i apikal retning. Figuren viser dette i en ekstrem form (illustration af Malin Bernas-Theisen, Senter for sjeldne diagnoser, enhet munnhelse, foto: Senter for sjeldne diagnoser, enhet munnhelse, Lovisenberg Diakonale Sykehus, Oslo).
noser, som har forskellige mekanismer med hensyn til, hvordan de påvirker amelo- og dentinogenesen.
Autoimmunt polyendokrint syndrom type 1 (APS1) og cøliaki
Diagnosen APS1 bliver i en artikel af La Dure-Molla (2) klassificeret som en diagnose i gruppen emaljeudviklingsforstyrrelser og endokrine og gynækologiske sygdomme, selvom diagnosen lige så godt kunne have været klassificeret under immunologiske tilstande. Diagnosen illustrerer dermed på en god måde, hvordan en genforandring kan påvirke forskellige dele af kroppen. Diagnosen skyldes en mutation i genet AIRE, som fører til, at AIRE-proteinet mister sin funktion, en såkaldt funktionstabsmutation (12). I en normal situation virker AIRE som en transkriptionsregulator og er vigtig for, at thymus etablerer det, man kalder ”central tolerance”, dvs. at immunforsvaret kan skelne (og dermed tolerere) det, som kommer fra egen krop, fra det, som er fremmed (13,14). APS1 medfører dermed forskellige autoimmune tilstande i kroppen, fx hypoparathyreodisme, primært binyrebarksvigt, kronisk mukokutan candidiasis og betydeligt forøget risiko for udvikling af oral cancer (15). Emaljedannelsen er i varierende grad forstyrret hos 70-90 % af individer med diagnosen (16) (Fig. 3).
De molekylære mekanismer, som fører til emaljeudviklingsforstyrrelser ved denne diagnose, er ikke fuldstændig kortlagt, men der har været to hovedteorier; enten at AIRE har en direkte funktion i emaljeudviklingen, eller at det er involveret i induktion af tolerance for ameloblast-specifikke antigener i thymus.
Interessant nok har 20-50 % af børn med cøliaki, som også er en autoimmun diagnose, lignende emaljeudviklingsforstyrrelser, som observeres ved APS1. Ved cøliaki er der også beskrevet to mulige årsager til emaljeudviklingsforstyrrelserne; malabsorption af næringsstoffer og mineraler eller immunmedierede mekanismer (16). I en nylig publiceret artikel i Nature (11) mener forfatterne at kunne demonstrere, at den immun-
Fig. 4. Typical dental findings in a patient with Tricho-dento-osseous Syndrome. A. The enamel is extremely thin. B. Taurodontism refers to the elongated pulp chambers in molars, with the furcation displaced towards apex. The figure demonstrates this in an extreme form (illustration by Malin Bernas-Theisen, TAKO-centre, Photo: TAKO-Centre, Lovisenberg Diaconal Hospital, Oslo).
medierede teori er den mest sandsynlige, idet de påviser, at de fleste patienter med APS1 og cøliaki udvikler autoantistoffer, hovedsagelig af typen IgA, mod diverse ameloblast-specifikke proteiner, som er med til at danne emaljematrix. De kalder denne tidligere uidentificerede IgA-afhængige autoimmune tilstand for autoimmun AI.
Tricho-dento-ossøst syndrom
En anden form for syndromal amelogenesis imperfecta, klassificeret som en knoglesygdom af La Dure-Molla et al. (2), er tricho-dento-ossøst syndrom (TDO). Udover emaljeudviklingsforstyrrelser (Fig. 4 A) karakteriseres TDO ved udviklingsforstyrrelser i hår, knogler og negle (17). Prævalensen af denne diagnose er ukendt. Dette kan skyldes, at den er yderst sjælden, men det er også muligt, at den hos enkelte personer kan være udiagnosticeret, da det, som tidligere nævnt, ikke er almindeligt at foretage genetiske undersøgelser af patienter med tandudviklingsforstyrrelser. Det kliniske billede varierer betydeligt, både mellem og inden for familier med diagnosen, og emaljeudviklingsforstyrrelserne kan være de mest udtalte fund. Det er i øvrigt beskrevet, at der ofte forekommer taurodonti (Fig. 4B) Syndromet skyldes mutation i genet DLX3 (distal-less homeobox gene) på kromosom 17.
Hypofosfatasi
Hypofosfatasi er et eksempel på en diagnose, som rammer dentinudviklingen og flere andre organsystemer. I La Dure-Mollas
Tandfund, som observeres ved hypofosfatasi

Fig. 5. Klassiske tandfund, som observeres ved hypofosfatasi. A. Røntgenoptagelse af et barn på fem år, som viser tegn på dentindysplasi med store pulparum.
B. Foto af en tand, som er eksfolieret præmaturt med fuld rodlængde, et klassisk fund ved hypofosfatasi.
Fig. 5. Classic dental findings observed in hypophosphatasia. A. X-ray of a 5-year-old child showing signs of dentin dysplasia with large pulp chambers. B. Photo of a tooth that has exfoliated prematurely with full root length, a classic finding in hypophosphatasia.

klassifikation klassificeres den som en dentin- og knoglediagnose (2). Diagnosen knyttes til patologiske ændringer (mutationer) i genet ALPL, som koder for proteinet alkalisk fosfatase. Den direkte følge af ændringer i ALPL-genet er, at der bliver mindre fosfat i blodet. Fosfat er vigtigt i mange organsystemer såsom knogle, tænder, lever og nyrer. Der findes flere former for hypofosfatasi med varierende alvorlighedsgrad, hvor den mildeste form, odontohypofosfatasi, kun rammer tænderne, mens meget alvorlige former typisk opdages allerede i fosterlivet og kan være letale. Når flere organer er involveret, kan der forekomme symptomer og tegn som knoglesmerter, bøjede rørknogler, hyppige knoglefrakturer, reduceret muskeltonus og reduceret højdevækst. Desuden ses dentinudviklingsforstyrrelser (Fig. 5A) og i mange tilfælde præmatur fældning af primære tænder uden nævneværdig resorption af roden, som man ellers normalt ser, når mælketænder fældes (Fig. 5B). Det er naturligt, at dentindannelsen påvirkes ved tilstande, som påvirker mineraliseringsprocesser i knogler, og reduceret mineralisering af cement er antagelig også en medvirkende faktor til det tidlige tandtab (18).
HVAD ER DET VIGTIGT FOR TANDLÆGEN AT TÆNKE PÅ VED MISTANKE OM SAMMENSAT GENETISK TILSTAND/ SYNDROM?
Tværfagligt samarbejde
Som diagnosebeskrivelserne ovenfor viser, har visse mundhulefund som emalje- og dentinudviklingsforstyrrelser ofte genetisk baggrund og kan være en del af et større billede. Tandlæger må derfor altid vurdere sådanne udviklingsforstyrrelser i sammenhæng med anamnestiske oplysninger og ekstraorale tegn og symptomer, som kan være diagnoserelaterede (Fig. 2). Det kan ikke forventes, at alle tandlæger skal have detaljeret viden om alle genetiske diagnoser, som kan have orale manifestationer, men de bør kunne sætte fundene ind i en større sammenhæng, henvise til andre dele af sundhedssektoren ved behov samt deltage i videre udredning, samarbejde og behandlingsplanlægning i en helhedsorienteret sammenhæng.
Kan og bør tandlæger rekvirere genetiske undersøgelser?
I Norge reguleres anvendelse af genetiske undersøgelser gennem en bioteknologilov (19). I loven defineres genetiske undersøgelser som alle typer analyser af menneskets arvemateriale, både på nukleinsyre- og kromosomniveau, af genprodukter og deres funktion, eller organundersøgelser, som har til hensigt at give information om menneskets arveegenskaber. Loven skelner mellem diagnostiske genetiske undersøgelser, som udføres for at stille en diagnose hos en person med symptomer, og genetiske undersøgelser med henblik på at vurdere risikoen for fremtidig sygdom. Sidstnævnte undersøgelser har særskilt regulering og må kun udføres af godkendte virksomheder.
I princippet kan tandlæger rekvirere diagnostiske genetiske undersøgelser, men det har været diskuteret i litteraturen, hvorvidt dette er et ansvar, tandlæger bør påtage sig (20). I praksis er der få tandlæger, som gør dette, og fokusgruppeinterviews med specialister i pædodonti viste, at det vil kræve professionel udvikling, forbedrede resurser og tydelige retningslinjer for indikationer og opfølgning ved eventuelle fund på de genetiske tests.
KONKLUSION
Denne artikel er tænkt som en oplysning til tandlæger om deres unikke mulighed for at se dentale udviklingsforstyrrelser i en større sammenhæng. Munden er, som vi ofte påpeger, en vigtig del af kroppen, og derfor bør vi udrede det, vi ser udover det normale, dokumentere, diagnosticere tidligt, samarbejde og lægge individuelle behandlingsplaner på kort og langt sigt. Hvordan oplever patienterne at have en dental udviklingsforstyrrelse?
Systematik er vigtigt, og stillingtagen til eventuelle genetiske undersøgelser er også en del af det odontologiske arbejdsområde.
Tandplejen er en vigtig samarbejdende sundhedstjeneste og kan bidrage ved diagnostik af syndromer og indgå i en tværfaglig behandlingstjeneste for patienter, som har dentale udviklingsforstyrrelser som del af et genetisk syndrom.
(ENGLISH)
GENETIC DIAGNOSES LEADING TO DEVELOPMENTAL DISTURBANCES IN ENAMEL AND DENTINE – THE IMPORTANT ROLE OF DENTAL HEALTH PROFESSIONALS
Teeth have been described as the body's flight recorder because they can reflect a range of genetic changes, autoimmune conditions, dental trauma, systemic disorders, and environmental influences. These factors can impact amelogenesis and dentinogenesis, leading to dental developmental disorders in the hard tissue of teeth. Thorough investigation of these disorders is essential, as they may be linked to broader diseases and syndromes.
Disorders that affect dental tissue, such as enamel and dentin, can have either genetic or non-genetic causes. Identifying potential connections between dental developmental dis-
orders and extra-oral symptoms is crucial for dental health professionals, as they may aid the diagnosis of underlying syndromes. A holistic approach that considers the “whole individual” is key to recognizing these associations. Highlighted examples include autoimmune polyendocrine syndrome type 1(APS1) and coeliac disease, tricho-dentoosseous syndrome, and hypophosphatasia.
The importance of systematic diagnosis, interdisciplinary collaboration, and the potential role of genetic testing are emphasised.
Many patients will require personalised follow-up and treatment throughout their lives, making early diagnosis essential to ensuring the best possible care both in the short and long term.
ARTIKEL INKL. LITTERATUR
Scan og få hele artiklen inkl. litteraturlisten som pdf.
HJÆLP DINE PATIENTER
TIL ET SUNDT TANDKØD*
parodontax er en flourtandpasta til daglig brug med en unik 67 % natriumbikarbonat formulering

reduktion i blødningssteder
mere effektiv til at f jerne plak 58 % 4X
Læs mere om parodontax og bestil gratis vareprøver ved at scanne QR-koden
* Ved kontinuerlig tandbørstning 2 gange dagligt.
* Ved kontinuerlig tandbørstning 2 gange dagligt.
** Sammenlignet med en almindelig tandpasta efter professionel tandrensning og 24 ugers børstning to gange dagligt.
** Sammenlignet med en almindelig tandpasta efter professionel tandrensning og 24 ugers børstning to gange dagligt.
1. Akwagyiram et al. Efficacy and Tolerability of Sodium Bicarbonate Toothpaste in Subjects with Gingivitis: A 6-month Randomized Controlled Study.
1. Akwagyiram et al. Efficacy and Tolerability of Sodium Bicarbonate Toothpaste in Subjects with Gingivitis: A 6-month Randomized Controlled Study.
Oral Helth Prev. Dent. 2017; 16(5): 401-407.
Oral Helth Prev. Dent. 2017; 16(5): 401-407.
2. Jose A et al. J Clin Dent. 2018; 29:33–39.
2. Jose A et al. J Clin Dent. 2018; 29:33–39.
Endodontisk behandling af ikke-færdigudviklede permanente tænder
DENNE UDGAVE AF TANDLÆGEBLADETS GUIDE omhandler endodontisk behandling
af ”umodne” permanente tænder.
TEKST LARS BJØRNDAL, PROFESSOR, ODONTOLOGISK INSTITUT, SEKTION FOR KLINISK ORAL MIKROBIOLOGI, CARIOLOGI OG ENDODONTI, KØBENHAVNS UNIVERSITET OG JOURNALIST KIM ANDREASEN
1 2
Baggrund
Det tager op til tre år fra en tand erupterer, til dens rod er fuldt udviklet. I den tid er tandrodens vægge tyndere og ikke afsluttet. En rod under udvikling har en større, nærmest tragtformet åbning helt apikalt, og det gør den konventionelle rodbehandling vanskelig, hvis der skal foretages et indgreb. Både rodkanalen og dentintubuli er store og brede. Det gør den ikke-færdigdannede tand sårbar for, at en etableret infektion spreder sig.
De mest almindelige årsager til skader på pulpavævet er caries og tandtraumer. Det kan føre til pulpitis og i sidste ende pulpanekrose med tilstødende infektion samt udvikling af apikal parodontitis. Omtrent en fjerdedel af alle danske skolebørn har været udsat for et eller flere traumer på de permanente tænder.
Hvis unge permanente tænder udvikler pulpitis, er der mulighed for at behandle med en vital pulpabehandling, hvor vævet enten behandles overfladisk eller fjernes, typisk svarende til tandkronen, imens det forbliver i rødderne. Det betyder, at rødderne stadig kan færdigdannes. Udvikles derimod nekrose i pulpa, stopper rodudviklingen, og det kan være vanskeligt at foretage en almindelig rodbehandling med anvendelse af guttaperka, som ikke vil kunne lukkes tæt apikalt, fordi roden som omtalt er meget åben. I værste fald kan det betyde, at tandens chance for at overleve på langt sigt bliver ringe.
Udredning
Skal man diagnosticere sygdomme, som omhandler pulpa og det peripikale væv, kræver det en grundig journalisering af patientens anamnese og den objektive og parakliniske (fx røntgen) undersøgelse. Det er vigtigt, fordi mange af fundene skal opfattes indirekte. Fx har vi ikke i dag et apparat, der direkte kan måle graden af inflammation. Derfor bliver en kombination af journaldata vigtig.
Anamnese i forhold til den aktuelle tand
Anamnesen omfatter en udredning af tidligere og nuværende symptomer – bl.a. smertehistorik og søvnforstyrrelser. Det kan særligt være en udfordring, når det gælder behandling af børn, som kan have svært ved at beskrive smerter eller skjuler, at de har smerter. Her kan dialog med forældre være afgørende.
Status ved klinisk objektiv undersøgelse
Beskriv tandens tilstand i forhold til slimhinde og bløddele i øvrigt. I forhold til en vurdering af manglende vitalitet på den ikke-færdigdannede tand er slimhinde og bløddelsundersøgelsen central, hvor hævelse og fistel kan understøtte en rodkanalinfektion.
Er der tegn på caries? Har tanden misfarvning? Udfør diagnostiske tests, bl.a. perkussion, el-test og kuldetest for at undersøge tandens vitalitet. På børn under 8-10 år kan et svar dog
være vanskeligt at få bekræftet. Ved akut traumescenarier er det væsentligt at undersøge, om der er synlige infraktioner eller egentlige frakturer. Hvilke dele af tanden er i så fald frakturerede: Emalje, dentin eller forekommer der eksponering af pulpa?
Billeddiagnostik (paraklinisk)
Der er her tale om røntgenbilleder (både almindelige og panorama) og i komplicerede tilfælde CBCT. Foreligger der flere billeder over tid, kan det vise, om rodudviklingen er standset, hvilket er et tydeligt tegn på pulpanekrose. Det kan være en hjælp i de situationer, hvor en vitalitetstest ikke har været mulig at gennemføre pålideligt.
3
Behandling
3.1. BEHANDLING AF IKKE-FÆRDIGUDVIKLEDE
TÆNDER MED VITAL PULPA
Direkte pulpaoverkapning er pulpa-sårbehandling, hvor forsegling i dag foretages med calciumsilikatholdig cement direkte på en overfladisk eksponeret pulpa. Overkapning anbefales kun, hvis problemet skyldes et traume. Prognosen i forbindelse med overkapning på profund caries er dårlig.
Partiel, total eller dyb pulpotomi er en behandling, hvor kun en del af tandens pulpa fjernes, fx ved ekstrem dyb caries med svær inflammation i pulpa. Formålet er at bevare den resterende del af pulpa i live og ikke mindst få skabt mulighed for, at rødderne kan færdigdannes. Beslutningen om, hvorvidt behandlingen er partiel, total eller dyb, afgøres af, om standsning af blødning fra pulpa kan opnås eller ej. Opnås der ikke hæmostase ved partiel pulpotomi, vil næste step være at fjerne pulpavæv ned til kanalindgangene eller ultimativt midtrod (dyb pulpotomi). Tidsangivelse på opnåelse af hæmostase er her pragmatisk sat, men nok længere end man normalt ville forvente.
Med calciumsilikatholdig cement-apexifikation har man mulighed for at aflukke den morfologisk vanskelige afslutning af roden, hvor det ikke er lykkedes at opnå hæmostase.
Indikationer, hvor (underforstået) røntgen viser ikkefærdigudviklede tandrødder
¾ Pulpaeksponering pga. traume (direkte overkapning eller pulpotomi afhængig af mulighed for hæmostase).
¾ Pulpaeksponering pga. caries (overkapning undlades), partiel, fuld eller dyb pulpotomi udføres.
¾ Permanente smerter.
Retningslinjer for behandling af vitale ikke-færdigudviklede tænder
Direkte pulpaoverkapning
¾ Lokalbedøvelse.
¾ Aseptisk arbejdsfelt med kofferdam og afvaskning med desinfektionsvæske.
¾ Eksponeringen af pulpa gøres ikke større.
¾ Hæmostase med natriumhypoklorit (2,5 %) – afvent 5 min.
Partiel, total eller dyb pulpotomi
¾ Efter lokalbedøvelse og aseptisk arbejdsfelt foretages fjernelse af superficiel krone pulpavæv (partiel pulpotomi).
¾ Hæmostase med natriumhypoklorit (2,5 %) – afvent 5 min.
¾ Anvendelse af calciumsilikatholdig cement (fx MineralTrioxid-Aggregat (MTA) indeholdende produkt eller Biodentin).
¾ Afsluttende restaurering.
¾ Opnås ikke hæmostase i pulpavævet, udvides vævsfjernelse ned til 1-2 mm under kanalindgangen (total pulpotomi).
¾ Hæmostase med natriumhypoklorit (2,5 %) – afvent 5 min.
¾ Er det fortsat ikke muligt at opnå hæmostase, kan pulpafjernelse udvides til midtrod til en såkaldt dyb pulpotomi. Hæmostase med natriumhypoklorit (2,5 %).
¾ Afslutning som ovenfor.
Calciumsilikatholdig cement-apexifikation på vital tand
¾ Lokalbedøvelse.
¾ Aseptisk arbejdsfelt med kofferdam og afvaskning med desinfektionsvæske.
¾ Skal ses som det næste trin, hvor pulpotomiforsøg en sjælden gang ikke kan gennemføres.
¾ Cementapplikation (fx MTA-indeholdende produkt eller Biodentin) placeres apikalt svarende til 3-4 mm. lag tykkelse.
¾ Efterfulgt af sealer og (varm) guttaperka.
¾ Afsluttende restaurering (se nedenfor for uddybning).
3.2. BEHANDLING AF IKKE-FÆRDIGUDVIKLEDE
TÆNDER MED NEKROTISK PULPA MED ELLER UDEN
APIKAL PARODONTITIS
Calciumsilikatholdig cement-apexifikation (rodspidslukning med special cement) er en behandling, hvor man aflukker den rodåbne kanal med en cement, der hærder hurtigere og med en hårdhed væsentlig højere end calciumhydroxid. Det medfører en chance for en mere tæt barriere, hvor ny rodcementdannelse på materialeoverfladen er mulig, dog uden at roden biologisk færdigudvikles.
Man afventer således ikke en biologisk aflukning, før der rodfyldes, men man aflukker og forventer, at der kan ske en rodcementapposition over tid, men selve roden ændres ikke biologisk.
Retningslinjer for behandling af vitale ikke-færdigudviklede tænder
Første besøg
¾ Lokalbedøvelse.
¾ Aseptisk arbejdsfelt med kofferdam og afvaskning med desinfektionsvæske.
¾ Påbegynd kanalbehandling med følgende forbehold:
• Da kanalen i udgangspunktet er meget stor, vil en reel mekanisk udrensning være begrænset.
• Endelig rodmål kan være vanskelig at opnå med apexlokator, hvor indirekte røntgenteknik anvendes.
• Skylning med natriumhypoklorit 2,5 % (vær skånsom med kanyletryk uden for kanalen, eftersom en voldsom skylning vil kunne igangsætte blødning grundet den store åbning apikalt).
¾ Herefter skånsom skylning med EDTA 17 % afsluttende med natriumhypoklorit (2,5 %).
¾ Calciumhydroxid (Ca(OH)2) placeres i kanalen – ikke med henblik på apexifikation, men med henblik på medikamentel bakteriocid mellemseance (12 uger) eller opløsning af jod i 15 min., der muliggør færdigbehandling samme dag.
Andet besøg - cement-applikation
¾ Efter lokalbedøvelse etableres aseptisk arbejdsfelt med kofferdam og afvaskning med desinfektionsvæske.
¾ Calciumsilikatholdig cement (fx MTA eller Biodentin) anbringes direkte i den apikale del.
¾ Kanalen fyldes derefter med sealer og (varm) guttaperka.
¾ Herefter forsegling ca. 2 mm. under knoglekanten med fx en kontrastfarvet glasionomercement – herefter restaureres tanden permanent.
Revaskulariseringsbehandling af ikkefærdigudviklede tænder med nekrotisk inficeret rodkanal og apikal parodontitis
Revaskulariseringsbehandling (også kaldet regenerativ endodontisk behandling) er en stamcellebaseret behandling, der har været tilgængelig i en del år. Den har haft som mål at genopbygge et pulpa-lignende væv samt muliggøre fortsættelse af roddannelsen ved brug af stamceller kombineret med en behandlerinitieret igangsættelse af blødning apikalt. Teknikken er særlig fordelagtig i behandlingen af ikkefærdigudviklede tænder, hvor en stor del af roden ønskes gendannet (små børn). Den er samtidig meget teknikfølsom for kontaminering og kan også medføre stor grad af misfarvning. ♦
Kilder:
Vestman NR. Endodontisk behandling av omogna permanenta tänder (Set 2025 august). Tilgængelig fra: URL: https://www.internetodontologi. se/pedodonti/endodontisk-behandling-omogna-permanenta-tander/
Ballal NV, Duncan HF, Wiedemeier DB et al. 4-year pulp survival in a randomized trial on direct pulp capping. J Endod 2024;50:4-9.
Duncan HF, Galler KM, Tomson PL et al. Management of deep caries and the exposed pulp. Position paper. Int Endod J 2019;52:923-34.
Almer L, Løvschall H. Dentoalveolære traumer i det permanente tandsæt. Tandlægebladet 2011;115:1046-54.
Bjørndal L. Apikal parodontit. Principper for behandling af akut apikal parodontit med udgangspunkt i et patienttilfælde. Tandlægebladet 2004;108:1250-7.
Banchs F, Trope M. Revascularization of immature permanent teeth with apical periodontitis: new treatment protocol? J Endod 2004;30:196-200.
Pendse G, Misra R, Mandke L et al. Comparison of revascularization and apexification using mineral trioxide aggregate in young human Immature nonvital teeth: a systematic review and meta-analysis. Cureus 2025;17:e88732.
MUSEION VISER TÆNDER
Kom på omvisning i udstillingen TÆNDER på Medicinsk Museion.

Udstillingen lukker 21. december 2025
Se særudstillingen TÆNDER og oplev museets store tandlægesamling med over 5.000 historiske genstande, gemt under loftet. Book en omvisning på museion.ku.dk/omvisningertaender fra 1.800 kr. pr. gruppe.




Flere ældre tandlæger holder fast i faget
STADIG FLERE TANDLÆGER ARBEJDER
VIDERE, selvom de kunne gå på pension, og forskningen viser, at seniorer er en gevinst for arbejdspladsen. Udviklingen kan dog risikere at skabe et pres på den enkelte for at blive på arbejdsmarkedet, siger aldringsforsker.
TEKST KIM ANDREASEN FOTO SHUTTERSTOCK
Tandlæger arbejder på livet løs langt ind i pensionsalderen, og der kommer hele tiden flere seniortandlæger til. Således viser tal om den danske arbejdsstyrke fra Sundhedsdatastyrelsen, at antallet af tandlæger over 65 år i arbejdsstyrken er steget fra 264 i 2000 til 732 i 2022. Den seneste tandplejeprognose fra Sundhedsstyrelsen kan også dokumentere, at antallet af ansatte tandlæger
mellem 70 og 74 år er steget med 54 % fra 2012 til 2021. Tæller man de 65-69-årige med, er hver ottende erhvervsaktive tandlæge over 65 år.
Flere sunde leveår
Tandlægerne er ikke unikke, når det gælder seniorer, der bliver på arbejdsmarkedet. Samme tendens gør sig gældende for store dele af det øvrige arbejdsmarked. Danmark ligger nummer fire blandt de europæiske lande med flest 70-74-årige i arbejde, viser tal fra Eurostat. I slutningen af 2024 var godt 14 % af aldersgruppen i lønnet arbejde. Det er en fordobling på blot tre år.
En vigtig forklaring på, at flere og flere seniorer beholder tilknytningen til arbejdsmarkedet, er helt simpelt, at den generelle sundhed i befolkningen stiger, forklarer Thomas Holberg, chefkonsulent og faglig koordinator med ansvar for området ”seniorer på arbejdsmarkedet” hos Ældre Sagen.
- Vi lever længere og har flere sunde leveår. Uden den positive udvikling i sundheden kunne stigningen slet ikke lade sig gøre, siger han og fortsætter:
Vi lever
længere
og har flere sunde leveår
THOMAS HOLBERG
Chefkonsulent og faglig koordinator hos
Ældre Sagen
- I løbet af de seneste år har en række politiske reformer også gjort det mere attraktivt at blive på arbejdsmarkedet. Selv mener jeg, at muligheden for at arbejde uden modregning i folkepensionen har været en gamechanger, siger Thomas Holberg.
Udvikling i stedet for afvikling
Den senere tilbagetrækning fra arbejdsmarkedet kan også handle om, at der i fag som tandlægefaget er meget identitet koblet op på professionen. Det for-
klarer Aske Juul Lassen, lektor i etnologi ved Center for Humanistisk Sundhedsforskning på Københavns Universitet, hvor han bl.a. forsker i tilbagetrækning fra arbejdsmarkedet.
- Ud over den stærke identitetsfølelse, som gør, at det kan være svært at stoppe med at arbejde, er der ved at ske noget med den måde, danskerne trækker sig tilbage fra arbejdet på.
- Tidligere var det helt naturligt, at du stoppede, når du rundede pensionsalderen. Nu er overgangen til pensionistlivet blevet mere glidende for mange grupper på arbejdsmarkedet. Alderdommen var tidligere en tid for afvikling, men det er i høj grad blevet til en tid, hvor mange mennesker også gerne vil udvikle sig, fordi de har helbredet og lysten til det, siger Aske Juul Lassen.
Tilknytningen til arbejdsmarkedet er ikke kun positivt for den enkelte tandlæge. Aske Juul Lassen forklarer, hvordan seniorer også kan bidrage til at forbedre forholdene ude på arbejdspladserne.
- Man kan kalde det seniorkompetencer. Forskningen viser, at jo ældre du er, jo bedre emotionel kontrol har du.

Du er også mindre opfarende og kan derfor bedre håndtere stress. Du er god til at skabe trivsel for både kolleger og – i tandlægernes tilfælde – patienter. I det hele taget er seniorer mere rolige og skaber tryghed. De er faktisk med til at forbedre arbejdsmiljøet.
Et socialt pres for at fortsætte
Der er dog også udfordringer ved de flere ældre på arbejdsmarkedet. Aske Juul Lassen peger på, at der kan opstå en forventning og måske også et socialt pres, som går på, at man selvfølgelig skal fortsætte med at arbejde efter pensionsalderen, og dermed kan der opstå en stigmatisering af dem, der vælger at gå på pension på fuld tid.
- Et andet og lidt overset problem er, at hvis du udskyder pensionsalderen, har du ikke tid til at passe børnebørn, en syg partner eller gamle forældre, som mange omkring pensionsalderen stadig har. Du har heller ikke mulighed for i lige så høj grad at udføre det frivillige arbejde, som mange engagerer sig i, når de er holdt op med at arbejde, siger Aske Juul Lassen.
Tidligere var det helt naturligt, at du stoppede, når du rundede pensionsalderen
ASKE JUUL LASSEN
Lektor i etnologi ved Center for Humanistisk Sundhedsforskning på Københavns Universitet
Fleksible vilkår
Både Thomas Holberg og Aske Juul Lassen er overbeviste om, at vi i de kommende år vil se endnu flere ældre, der bliver på arbejdsmarkedet.
- Det kommer til at ske af den simple årsag, at demografien i Danmark ændrer sig. I 2050 ser vi ind i et arbejdsmarked, hvor der er 200.000 flere over 60 år. Det er bydende nødvendigt, at vi er i stand
til at fastholde deres tilknytning til arbejdsmarkedet, siger Thomas Holberg.
Udfordringen er ifølge Aske Juul Lassen, om arbejdsmarkedet bliver parat til at tilbyde tilstrækkeligt med fleksible vilkår.
- Her har tandlægerne en fordel, da mange arbejder på forholdsvis små arbejdspladser, som er bedre til at tage hensyn og tilrettelægge arbejdet, så det kan passe til de behov for fx fleksible arbejdstider, nedsat tid og mindre ansvar, som seniorerne efterspørger, siger han. ♦
Antallet af ansatte tandlæger mellem 70 og 74 år er steget med
54 %
fra 2012 til 2021. Tæller man de 65-69-årige med, er hver ottende erhvervsaktive tandlæge over 65 år.

Kilde: Sundhedsstyrelsen og Tandlægeforeningens medlemsregister




Jeg får et problem, når jeg stopper med at arbejde
72-ÅRIGE TANDLÆGE LEIF FAGERNÆS er stadig dybt fascineret af sit arbejde. Så kan han godt leve med at være ekstra træt, når han kommer hjem.
TEKST KIM ANDREASEN
FOTO ANDERS TRÆRUP
Lyden af sug, tandbor og små samtaler fylder klinikken. Midt i det står 72-årige tandlæge Leif Fagernæs. Han arbejder 25 timer om ugen på sin klinik i Kolding, og det gør han, selv om han for længst kunne være gået på pension. Ikke fordi han mangler penge, men fordi tandlægefaget for ham er mere end et job. Det er stadig så fascinerende, at han ikke kan slippe det. - Jeg elsker mit arbejde. Der sker hele tiden nye ting, og det er nærmest blevet en hobby.
Når jeg stopper, får jeg et problem. Jeg ved simpelthen ikke, om jeg kan undvære det, siger Leif Fagernæs og griner.
Give erfaringer videre
Jeg vil køre med fuld
fart hen til muren, og så hopper jeg af, inden jeg rammer
LEIF FAGERNÆS
De 25 arbejdstimer er tilstrækkelige for ham til at have nogenlunde det samme antal patienter og omsætning som tidligere.
Tandlæge
- Jeg er dog holdt op med at udføre store kirurgiske knogleopbygninger. I det hele taget laver jeg ikke store og omfangsrige behandlinger mere. Dem lader jeg mine yngre kolleger tage sig af, siger Leif Fagernæs.
Det handler for ham også om at kunne give sine erfaringer videre til andre – fx den tandlæge, han har ansat på sin klinik.
- Hun er begyndt at interessere sig for kirurgi. Hun kigger på det, jeg laver, og hun er så småt begyndt at gøre sig egne erfaringer med den type af behandlinger, fortæller Leif Fagernæs.
Trætheden er prisen
Der, hvor han især mærker konsekvensen af stadig at være på arbejdsmarkedet som 72-årig, er, at han er træt, når han kommer hjem fra arbejde.
- Tidligere har jeg været aktiv i forskellige bestyrelser – bl.a. Kolding Svømmeklub og KIF-håndbold, men jeg må tilstå, at når jeg kommer hjem efter en arbejdsdag nu, så er jeg færdig. De dage om ugen, hvor jeg arbejder, skal der ikke ske noget som helst om aftenen.


Det har en pris at blive ældre, siger Leif Fagernæs. Han er, som han selv formulerer det, under et næsten dagligt pres fra sin kone om at gå på pension. Hun er fire år ældre og har allerede været pensionist i seks år – i øvrigt fra et job som tandlæge og medejer i den klinik, som Leif Fagernæs fortsat ejer og arbejder på, og hvor de to arbejdede sammen i 33 år. - Hvis vi skal nå at nyde pensionistlivet sammen og komme ud på nogle rejser, skal det da til at være. Derfor går jeg også i salgstanker. Men jeg vil køre med fuld fart hen til muren, og så hopper jeg af, inden jeg rammer. Det bliver ikke noget med at arbejde færre timer, end jeg gør nu. Når jeg stopper, er det et totalt stop. Og så vil jeg bl.a. spille noget
Jeg elsker mit arbejde. Der sker hele tiden nye ting, og det er nærmest blevet en hobby
LEIF FAGERNÆS Tandlæge
mere guitar og banjo i det jazzorkester, jeg er kommet med i. De to andre, som jeg spiller med, er allerede gået på pension og siger begge, at de glæder sig til, at jeg også bliver pensionist. Så får vi tid til at spille lidt oftere, siger Leif Fagernæs.
Selv om Kolding-tandlægen føler sig frisk, tænker han selvfølgelig over, at han er oppe i årene, og at det kan betyde noget, hvornår man stopper.
- Tænk at afslutte sin karriere med en fejl, fordi man er blevet for gammel. Jeg har ikke samvittighed eller moral til at lave en fejl her på det sidste, fordi jeg ikke kan følge med, så det gælder om at stoppe selv, før andre beder dig om det, siger han. ♦


LEIF FAGERNÆS
Uddannet tandlæge fra Tandlægehøjskolen i København i 1980
Første job på en klinik i indre København i 1980
Købte i 1983 en klinik i Kolding, hvor han stadig arbejder
Der er stadig behov for mig
KAREN FREDENSBORG er med sine
50 års erfaring stadig rolig, når der opstår noget uventet på klinikken.
Det vil hun gerne give videre til sine yngre kolleger.
TEKST KIM ANDREASEN FOTO ANDERS TRÆRUP
Tre dage om ugen tager 75-årige
Karen Fredensborg turen fra sit hjem i Videbæk til Ringkøbing, hvor hun arbejder 20 timer om ugen som tandlæge hos tandlægen.dk. Hun har lige fejret 50-års jubilæum og kunne for længe siden have hængt kliniktøjet på knagen og nydt pensionistlivet, men har ingen planer om at slippe bor, fil eller sonder lige foreløbig. For Karen Fredensborg handler




KAREN FREDENSBORG
Uddannet tandlæge fra Tandlægehøjskolen i København i 1975
Første job som tandlæge på en klinik i Videbæk i 1975
Ansat på klinikken i Videbæk indtil 2009, hvor hun fik sit nuværende job på en klinik i Ringkøbing

arbejdet nemlig ikke bare om tænder, men om mennesker, mening og følelsen af stadig at gøre en forskel. - Jeg kan godt lide mit arbejde og nyder hver eneste dag, og så føler jeg, at der stadig er behov for mig på klinikken, siger hun.
Hold ikke op med at arbejde
Der er ikke nogen behandlinger, som jeg er stoppet med at udføre, fordi jeg er kommet op i årene
KAREN FREDENSBORG Tandlæge
Meldingen fra Karen Fredensborgs patienter er også helt klar: Du må ikke holde op med at arbejde, siger de, hvis snakken ved tandlægestolen kommer til at dreje sig om pension.
– Jeg er selvfølgelig meget glad for mine patienter, og at de har tillid til mig. Men jeg synes også, det er spændende, at jeg kan give min erfaring videre til mine yngre kolleger, siger hun. Det gælder fx, hvis en af de andre tandlæger på klinikken skal fjerne en vanskelig visdomstand eller en svær retrograd rodbehandling.
- Med mine 50 års erfaring har jeg oplevet lidt af hvert, så jeg er også rolig, hvis der sker noget uforudset på klinikken, og den ro kan jeg forhå-


bentlig give videre. Derfor siger de yngre tandlæger også, at jeg ikke må stoppe, for så har de ikke mig, de kan gå til, hvis de er i tvivl om noget, fortæller Karen Fredensborg.
Ingen udfordringer
Jeg plejer at sige, at jeg ingen udløbsdato har
KAREN FREDENSBORG
Tandlæge
Hun føler ikke, at der er nogen udfordringer ved at være aktiv tandlæge i en høj alder.
- Der er fx ikke nogen behandlinger, som jeg er stoppet med at udføre, fordi jeg er kommet op i årene. Jeg føler mig sikker på min hånd og kan udføre mit arbejde godt.
Med en mand, børn og børnebørn, golf, bøger, kunst og en stor have at passe ville Karen Fredensborg ikke komme til at mangle noget at lave, hvis hun valgte at stoppe med at arbejde. Og det kunne også sagtens løbe rundt økonomisk uden timerne på klinikken.
- Men jeg har slet ikke gjort mig nogen tanker om at stoppe. Jeg plejer at sige, at jeg ingen udløbsdato har. Og min mand er meget glad for, at jeg stadig arbejder. Så har han fri i den tid, siger Karen Fredensborg og griner. ♦
ADHD-patienter kræver særlige hensyn
BÅDE I DET PRIVATE OG KOMMUNALE oplever tandlæger, at de møder flere patienter med ADHD. Det kan give en række udfordringer.
TEKST SOFIE STOKHOLM JACOBSEN ILLUSTRATION TANDLÆGEBLADET
Patienter, der udebliver. Patienter, der har brug for mere tid. Patienter, der har behov for en mere udførlig forklaring.
Det er nogle af de konkrete udfordringer, som tandlæger i både det kommunale og private jævnligt møder på grund af et tilsyneladende stigende antal patienter med diagnosen ADHD.
Således oplever 67 % af tandlægerne i privat praksis, at antallet af patienter med ADHD er steget lidt eller meget over de seneste to år, mens 73 % af tandlægerne i den kommunale tandpleje har registreret en lille eller større stigning siden 2023.
Tandlægeforeningens undersøgelse er baseret på svar fra godt 600 tandlæger, som har besvaret et spørgeskema hen over sommeren 2025.
- Jeg kan godt genkende resultaterne, for jeg oplever også, at det er stigende. Men samtidig bliver der også talt mere om det. Inden for de seneste år ser vi væsentligt flere ADHD-diagnoser end tidligere. Patienterne har vel altid været der, men nu har de fået diagnoser. Mange bliver heldigvis godt medicineret, siger Maj-Britt Liliendahl, der er tandlæge og klinikejer på Højbro Plads i København.
Uheldige bivirkninger
Ifølge undersøgelsen oplever tandlægerne i varierende grad en række udfordringer for ADHD-patienterne. Fx medicininduceret mundtørhed, problemer med tandpleje, udfordringer med at modtage tandbehandling og med at møde frem til aftalte konsultationer.
Undersøgelsen zoomer bl.a. ind på ADHD-patienter med medicininduceret mundtørhed. Denne gruppe er især udfordret af caries og gingivitis, viser tandlægernes svar.
- Mange af de patienter, der får medicin for ADHD, har problemer i større eller mindre grad med medicinsk betinget mundtørhed. Når de samtidig kan have udfordringer med at holde optimal mundhygiejne, får de flere problemer, og behandlingerne bliver ofte uoverskuelige. Både for patienterne, men også for os tandlæger, fortæller Maj-Britt Liliendahl og fortsætter:
- Mange patienter med ADHD har yderligere en anden psykiatrisk diagnose. Det kræver mere at skabe relationer og tryghed for denne gruppe af patienter, så vi tandlæger bliver mere pressede og udfordrede i hverdagen. Det er en tidsmæssig og økonomisk udfordring at have den type patienter i privat praksis, når vi er låste af særloven.
Ændrede arbejdsvaner
For tandlægerne betyder mødet med ADHD-patienter derfor ændrede arbejdsvaner. 63 % af tandlægerne i privat praksis og 86 % af tandlægerne i den kommunale tandpleje svarer i undersøgelsen, at de gør mere ud af det pædagogiske arbejde, når de møder en patient med ADHD. Fx ved i højere grad at prioritere at forklare patienterne, hvad der skal ske under konsultationen.
20 % af tandlægerne i privat praksis og 40 % i den kommunale tandpleje tilkendegiver, at de også afsætter mere tid til patienter med ADHD.
Tandlæge og klinikejer i Guldborgsund
John Hjorth Klos sørger for at sætte ekstra tid af og være ekstra omsorgsfuld.
Han oplever, at hans patienter med ADHD oftere kommer for sent, udebliver eller ikke får passet deres tænder.
- Jeg anerkender deres udfordringer, og at de ikke selv kan gøre for det. De har måske følt sig misforstået hele livet. Vi laver nogle spilleregler sammen, og de får lidt længere line i forhold til andre. Fx videre ramme for betaling, siger John Hjorth Klos.
Som en, der selv for nylig er blevet diagnosticeret med ADHD, er han meget opmærksom på at genkende det hos sine patienter.
- Jeg har nemt ved at sætte mig i deres sted og forstå deres udfordringer. Mit arbejde har været min særinteresse hele mit liv – derfor kan jeg sagtens overkomme det. Men alt det administrative kan jeg have svært ved at få gjort, siger John Hjorth Klos.
Børns rutiner
Søren Dalsgaard, der er professor, overlæge og forskningsleder på Børne- og Ungdomspsykiatrisk Center i Region Hovedstadens Psykiatri, har 25 års erfaring med børn med ADHD. Han har nogle bud på, hvordan tandlæger bedst muligt kan favne børn med ADHD og hjælpe dem til at passe på deres tænder.
- Børn tager typisk medicin om morgenen, så virkningen dækker skoledagen. Ved tretiden holder effekten op. Derfor kan der opstå flest udfordringer morgen og aften. Man kunne overveje at lave om på tandbørsterutinerne og lade dem børste tænder henne i skolen
og om eftermiddagen, hvor medicinen hjælper. Det er ikke optimalt, men bedre end slet ikke at få børstet tænder, siger Søren Dalsgaard.
Han anbefaler også at gøre brug af et skema, hvor børnene kan se visuelt, hvad der skal ske, fx om morgenen. Her kan tandbørstning være en del af skemaet. Det er vigtigt, at rækkefølgen er den samme hver dag, så det bliver automatiseret. Det kan være med til at gøre det forudsigeligt for barnet.
- 70-80 % af børn med ADHD døjer også med andet psykisk, så de er meget forskellige fra hinanden. Det skal man også have øje for og indrette sig efter, siger Søren Dalsgaard.
Han foreslår desuden at lade børn med ADHD komme på besøg hos tandlægen på forhånd, så de kan se, hvordan der ser ud i klinikken. Helst i samme rum og med samme personale, som når de skal i stolen. ♦


YASSER HADDADI
Uddannet tandlæge fra Aarhus Universitet i 2004
Mastergrad i protetik fra UCL Eastman Dental Institute London i 2013
Ph.d. i digitalisering i protetik i 2019
Varetager specialbehandlinger for den Højt Specialiserede Behandlingsenhed på Tandlægeskolen
Ejer og tandlæge af Tandklinikken i Trøjborg Centret samt Futurumklinikken i Aarhus
Scanneren giver mig troværdighed
FOTO CHRISTIAN B. YELLOWS
Signe Johanne Rasmussen spørger:
Hvor skal man starte, hvis man er interesseret i at udbygge sit kendskab til digitale muligheder, og kan du sige noget om, hvordan den digitale udvikling ser ud i nær og fjern fremtid?
- Med den hastighed, tingene udvikler sig på, skal man til at gå i gang, hvis man ikke vil halte bagefter. En printer behøver ikke at koste særlig meget. Og mange klinikker har efterhånden en scanner. Efter min mening bør alle klinikker i dag have en intraoral scanner – den giver mange muligheder. I dag kan vi på klinikken fx fremstille modeller, kroner og skinner på vores egen printer. Især digital printteknologi er en kæmpe ting, der er på vej, så det er et meget nærliggende sted at starte.
Jeg lærer ved at øve mig. Jeg skal have fingrene i det for at forstå det og lære det. Jeg fejler også ofte. For at kunne gøre det bedre næste gang kræver det, at man kan reflektere over det, man laver. Og man vil altid komme til at gøre det forkert i starten. Jeg laver irriterende mange gange tingene om, fordi jeg ikke synes, det blev godt nok. Jeg har heldigvis mange dygtige kolleger, jeg kan udveksle små fifs og problemer med.
Mulighederne for at lære er enormt mange. Der findes talrige webinarer, YouTube-klip og spændende cases på sociale medier. Og selvfølgelig traditionelle kurser. Jeg ser selv mange webinarer og videoer af behandlinger på nettet. Jeg er stor fan af webinarer fra den europæiske forening for protetik,
European Prosthodontic Association. Man skal selvfølgelig være opmærksom på, at der er meget godt, men også meget skidt på nettet, så jeg vil anbefale at starte med konventionelle kurser og så selv få fingrene i det. Min største kilde til ny information er nok alle de dygtige kolleger, jeg er i kontakt med, der fungerer som uformelle ERFA-grupper. Det er både tandlæger, men også laboratorieteknikere og folk fra industrien.
Hvad er næste store digitale skridt i tandlægebranchen?
- Klinikker, der ikke har en scanner, er bagefter. Og klinikker, der vil noget mere, skal også til at skaffe en printer. På min klinik har vi stor gavn af en printer. Når det gælder design, kommer AI til at spille en kæmpe rolle på sigt. Når jeg fx printer en krone, er den ikke designet af en tandtekniker, men af AI-software. Jeg scanner, uploader i skyen og har to minutter senere en digital version af kronen, som jeg kan printe. Der går ikke mere end 30 min., fra jeg har taget et aftryk, til jeg har en færdigprintet krone. Uden at behøve at sende den ud af huset eller landet. Det udvikler sig voldsomt, og på sigt kommer AI til at kunne designe meget mere. Det samme gælder de materialer, vi printer med, der vil blive stærkere og mere æstetiske. De er ikke efterprøvet endnu, så der er altid en risiko forbundet med det, når man vil være på forkant. Sådan var det også i sin tid med intraoral scanning. Men jeg er meget imponeret over, hvad AIsoftware kan.
Den vilde teknologiske udvikling, der er i gang, giver både behandlings- og kommunikationsmæssige muligheder. Jeg oplever fx, at en scanner gør det nemmere at kommunikere med mine patienter på en måde, så de bedre kan
forstå, hvad jeg forklarer. Scanneren giver mig troværdighed, fordi patienten visuelt kan se, hvad jeg taler om.
Hvordan kom du selv på sporet af det digitale?
- Jeg blev eksponeret for det digitale i små doser. Men jeg har faktisk altid været fascineret af den digitale udvikling og er det stadigvæk. For jeg fandt hurtigt ud af, at det giver virkelig mange muligheder. En af dem er, at jeg kan sidde på min klinik og udføre alle faser af arbejdet selv. Og på den måde have kontrol med alle arbejdsgangene. Hvis jeg selv scanner, designer og printer en krone, og den ikke passer, kan det kun være min skyld. Det kan jeg godt lide.
Er det også det, der driver dig?
- Jeg synes, det er enormt fedt at arbejde sammen med dygtige folk. På Tandlægeskolens højtspecialiserede behandlingsenhed sidder jeg sammen med superdygtige kolleger inden for forskellige dele af tandlægefaget. Der opstår en synergi, når man arbejder sammen med folk, der er specialiserede inden for forskellige områder. Det samme har jeg også på min klinik. Mine kolleger gør mig dygtigere. Det er også derfor, jeg ofte sidder og læser en ny artikel eller ser et webinar. Jeg vil gerne blive ved med at udvikle mig.
Hvem vil du give stafetten videre til og hvorfor?
- Louise Hauge Matzen på Institut for Odontologi og Oral Sundhed formår med succes at balancere mellem forskning, undervisning og klinisk relevans. Og studerende fremhæver hende som en dygtig og engageret underviser.
Yasser Haddadi spørger:
Hvordan navigerer og prioriterer du i det krydsfelt? I er i fuld gang med at forske i brugen af MR i dentale sammenhænge –hvilke muligheder giver MR-teknologien os tandlæger i praksis? ♦
I fagstafetten går vi tæt på en tandlæge med en helt særlig drive og passion for sit fag. Månedens tandlæge sender fagstafetten videre til en kollega, der har været en inspiration for ham eller hende.
På Tandlægebladets indlæg- og debatsider har læserne ordet. Vi modtager følgende typer af indlæg:
Læserbreve max. 500 ord Kommentarer max. 500 ord Essay max. 1.000 ord Kronikker max. 2.000 ord
Faglige referater af kurser eller møder max. 500 ord
Indlæg sendes til fagligvidenskabelig redaktør
Nils-Erik Fiehn på nef@tdl.dk.
De holdninger, der kommer til udtryk i de enkelte indlæg, er forfatternes egne, og er ikke et udtryk for generelle holdninger i tandlægestanden eller i Tandlægeforeningen. Redaktionen forbeholder sig ret til at redigere de indsendte bidrag.
Find mere information om krav til indlæg på Tandlægebladet.dk under “Om Tandlægebladet”.
Læserbrev: ←

Af ANDERS BJERGEGAARD
Founder og CEO, Godt Smil Tandlægerne
Små skridt har også betydning:
Tandsundhed skal ikke være
en luksus – men en rettighed
Der skal være gratis tandpleje til alle med det gule sundhedskort. Så klart lyder et nyt forslag fra Enhedslisten. Det er et forslag, vi i Danmarks største tandlægekæde, Godt Smil Tandlægerne, kun kan bakke op om. For ingen bør risikere sundheden alene på grund af økonomien.
ALT FOR MANGE DANSKERE springer tandlægen over. Ikke fordi de vil, men fordi økonomien presser dem. En undersøgelse fra Tandtænketanken, som består af en bred vifte af aktører fra sundhedsområdet, viser, at op mod 40 procent af den voksne befolkning undlader at få den anbefalede, regelmæssige undersøgelse. En tendens, der i vores øjne er et tydeligt tegn på, at den nuværende model ikke fungerer – og det har konsekvenser.
Vi ser dagligt de følgevirkninger, det har, når patienter venter for længe med at gå til tandlægen. Det gælder ikke kun små og gængse tandproblemer som huller, tandsten og begyndende tandkødsbetændelse, men også mere alvorlige tilstande som parodontitis og infektioner – noget, der i værste fald kan påvirke den generelle sundhed og føre til fx hjerte-kar-sygdomme. Tænderne hænger nemlig i høj grad sammen med resten af kroppens sundhed. Med andre ord belaster manglende tandpleje ikke kun den enkeltes tandsæt og økonomi, men i sidste ende også sundhedsvæsenet.
Derfor er gratis adgang til tandlægen ikke bare en investering i den enkeltes tandsundhed, men også et forebyggende sundhedstiltag, der kan aflaste samfundet som helhed. Vi skal væk fra brandslukningen, som vi ofte ser i dag, og i stedet arbejde langt mere forebyggende og langsigtet til gavn for alle.
Samtidig vil Enhedslistens forslag kunne nedbryde den ulighed, vi ser i tandplejen i dag. Som det er nu, er det i høj grad dem, der er økonomisk begrænsede, der også sjældent går til tandlæge. Små problemer får dermed lov til at vokse sig store og dyre. Det er ikke kun urimeligt, men også uholdbart – især når man tænker på, at brugerbetalingen også er vokset støt over de seneste år.
Tandpleje skal dermed ikke længere være en luksus. Det skal være en rettighed for alle – præcis som man får hjælp og behandling, når man brækker armen, får lungebetændelse eller har brug for en blodprøve.
Og her er det væsentligt at huske, at mindre skridt også kan gøre en stor forskel. Er det ikke muligt at gøre samtlige tandlægeydelser gratis med det samme, kan vi begynde med det mest grundlæggende – et årligt tandtjek og en tandrensning.
Det giver os i Godt Smil – og alle vores kolleger i branchen – mulighed for at opdage og behandle problemer, før de vokser sig både store, sundhedskritiske og økonomisk uoverskuelige.
Referat: ←

Af LISE-LOTTE KIRKEVANG
Professor, dr.odont., Institut for Odontologi og Oral Sundhed, Aarhus Universitet
Zendium Forskerpris 2025
Professor og specialtandlæge i ortodonti ved Aarhus Universitet, Peter Stoustrup, er blevet tildelt Zendium Forskerpris 2025. Prisen blev tildelt som anerkendelse af hans store og målrettede forskningsindsats inden for ortodonti, i samarbejde med både nationale og internationale partnere.
PETER STOUSTRUP, professor, ph.d. og specialtandlæge, er leder af Ortodonti ved Institut for Odontologi og Oral Sundhed (IOOS) siden 2020. Hans primære forskning omhandler kæbeledsgigt hos børn, hvor han har ledt tre store internationale centre. Et samarbejde, der har resulteret i internationale anbefalinger. Derudover arbejder han med – og forsker i – optimering af ortodontiske (OR) behandlinger, digitalisering og brug af Generativ Kunstig Intelligens (GAI) inden for OR.
Peter er derudover faglig konsulent i Patienterstatningen og foretager faglige vurderinger i ortodontisager. Dette arbejde har i de senere år fået ham til at rette fokus på patientskader. I forbindelse med prisoverrækkelsen holdt Peter Stoustrup foredraget "Patientskader i forbindelse med ortodonti – hvornår og hvorfor sker de?". Han understregede, at ortodontiske behandlinger er kendetegnede ved at være lange, komplekse forløb med tæt patientkontakt, hvilket øger potentialet for, at skader kan opstå selv med høj faglighed.

Peter Stoustrup startede med at konkludere, at vi alle begår fejl, men at fejl ikke nødvendigvis medfører en patientskade, og at vi bør sikre, at vi, når vi laver fejl, bruger den viden, der ligger i systematisk at evaluere behandlingsforløbet til at lære af vores fejl. I foredraget beskrev Peter Stoustrup kort de mest almindelige skader, der anmeldes inden for ortodonti. De skyldes ofte en kombination af faktorer, hvor den hyppigste og mest alvorlige skade er rodresorption, der i udtalt grad kan kompromittere tændernes levetid. Mindre resorptioner betragtes som en bivirkning, mens udtalt resorption er en skade. Andre anmeldte skader er recidiv efter behandling, manglende diagnostik af fx retinerede tænder, fejldiagnostik, forkert behandlingsplanlægning og ikke mindst bristede drømme – når resultatet ikke blev, som patienten havde forestillet sig.
Skader kan opstå under aktiv behandling (ca. 50 % af sagerne), recidiv efter endt behandling (ca. 8,5 %) eller på grund af manglende behandling (ca. 12,6 %).
Peter Stoustrup berettede, at ud af de 644 sager, der blev anmeldt fra 2017 til 2024, blev ”kun” 196 anerkendt (primært rodresorptioner, gingivale retraktioner og forværring af okklusion). Erstatningssystemet ser dog sandsynligvis kun toppen af isbjerget. Han forklarede, at ud fra undersøgelser, han havde iværksat, ville omkring 70 % af ortodontiske skader potentielt være undgået. Skaderne kunne skyldes forskellige faktorer, såsom mangel på standardisering og fælles terminologi for patientskader i ortodonti, hvilket har hæmmet forskning og forståelse samt manglende viden eller kvalifikationer. Særligt fremhævede han diagnostik, behandlingsplanlægning og selve behandlingen som væsentlige faktorer, der var relaterede til patientskader inden for ortodonti.
Alle kan risikere at forårsage en skade, og vi bør bevæge os væk fra skyld og skam i relation til en patientskade. Peter Stoustrup beskrev, hvordan skader har konsekvenser for "seks ofre": Patienten, familien, behandleren, klinikken, professionen og samfundet. Han forklarede, hvordan samfundet har haft økonomiske omkostninger på 122 millioner kr. i erstatninger over fem år. I en nylig undersøgelse fandt han, at op til 30 % af OR-specialister er bange for at skade en patient. De involverede kan opleve skam (20 %), angst/tristhed (15 %) og i 4 % af tilfældene overveje jobskifte.
Behandlere, der havde været involveret i en patientskade, blev oftest meget påvirkede af sagen. For bedst muligt at komme videre ønskede de, at der blev vist tillid til dem fra overordnede. De havde brug for at få sikkerhed igennem jura og rådgivning, emotionel og professionel støtte efter hændelsen og endelig en struktureret opfølgning, så man kunne tage ved lære af eventuelle fejl og dermed undgå dem fremover.
Peter Stoustrup konkluderede, at patientskader sjældent er entydige, men et resultat af en kombination af patientrelaterede faktorer, behandlerrelaterede faktorer (planlægning/teknik) og administrative faktorer.
Når skaden er sket, er det vigtigt at informere, beklage, journalisere og følge op samt undgå uhensigtsmæssige reaktionsmønstre som apati, passivaggressivitet eller at påpege, at patienten er blevet advaret.
Han foreslår en mere ensartet registrering af skader i ortodonti for at muliggøre læring med fokus på patientsikkerhed for at sikre en mere evidensbaseret og dermed sikrere ortodontisk praksis.
































































Kan tydeligt ses på SEM-billedet: Perlestrukturen i OMNICHROMA sammenlignet med konventionelt knuste partikler.











Bis-GMA-fri formel: for bedre biokompatibilitet
Enkel lagerføring: blot 1 farve er nok til økonomisk bæredygtighed


Strukturelle farvenuancer uden kunstige farvepigmenter: tilpasser sig uden problemer til enhver tandfarve fra A1 til D4

Smart Chromatic Technology –1.000 hvide farver


Vareprøver & Mere tokuyama-dental.eu
navne
FYLDER DU RUNDT?
Hvis du ønsker din fødselsdag offentliggjort i Tandlægebladet, skal du give samtykke til det.
Det kan du gøre ved at logge ind på Tdlnet.dk dk → vælg ”mine sider” → vælg ”personlige oplysninger” → vælg ”mine samtykker”
Hvis du har spørgsmål, kan du kontakte medlemsregistreringen på e-mail medlemsregistrering@tdl.dk
Fødselsdage 22/10-18/11 2025
30
Thea Magdalene Magaard, Stenstrup, 27. oktober
Matilde Schepler, Frederikshavn, 29. oktober
Josefine Lærke Hansen, København Ø, 30. oktober
Anna Holm, Struer, 7. november
Parisa Backran, Frederiksberg, 10. november
Sheena From, Jægerspris, 10. november
40
Kristofer Fillip Nikolai Svendsen, Aalborg, 6. november
Kirstin Jacobsen, Lambi, 8. november
Tóra Frederiksberg, Skálafjørdur, 15. november
50
Lena Nørgaard, Hammel, 26. oktober
Line Gøtz Hartmann, Aalborg SV, 27. oktober
Charlotte Bugge Larsen, Holstebro, 11. november
Dorte Calmar, Åbyhøj, 18. november
60
Henning Kamper Mortensen, Frederiksberg C, 26. oktober
Søren Houmøller, København K, 7. november
Anette Schwartz Larsen, Kongens Lyngby, 16. november
70
Bodil Kammersgaard Dinsen, Snedsted, 24. oktober
Per Guldbæk, Holte, 27. oktober
Bodil Vibeke Hobolth, Roskilde, 29. oktober
Birthe Aarslev, Herning, 7. november
Per Møller Hansen, Årslev, 10. november
Lone Zederkof Sletten, Videbæk, 14. november
75
Mette Sauerberg, Kerteminde, 25. oktober
Birgitte Eykens Lund, Hedensted, 16. november
Lene Kinch Clemmensen, Spøttrup, 18. november
80
Poul Lester, Roskilde, 31. oktober
Lars Johannes Israelsen, Gram, 2. november
Palle Holmstrup, Holte, 04. november
Niels Ove Pedersen, Langå, 08. november
85
Ole Nivaa, Hellebæk, 27. oktober
Jahn Legarth, Tikøb, 6. november
Mindeord
Tidligere hospitalstandlæge Bent Fibæk, Hørsholm, in memoriam
Født den 9. september 1930. Død den 14. juni 2025.

DET VAR EN TRIST TELEFONOPRINGNING, jeg fik denne formiddag. Bent var efter et fald i badeværelset afgået ved døden den forudgående nat.
Vi mødtes på det første forprøvehold til tandlægeuddannelsen i eftersommeren 1949. Vi fandt meget hurtigt sammen på grund af en fælles interesse for lystsejlads. En interesse, vi begge bevarede, indtil kræfterne ikke slog til i fornødent omfang.
Vi sås ofte og læste anatomi sammen på den måde, at vi forberedte os hjemme og repeterede de aftalte afsnit, mens vi spadserede om aftenen på ”Svineryggen” (stien langs søerne i København). Der kan nås meget fra Østerbro til Frederiksberg og omvendt.
Efter eksamen og værnepligt sås vi så ofte, det var muligt, og da jeg flyttede til Aarhus, måtte telefonen holde for. Det blev tit nogle meget lange samtaler, og der blev længere imellem besøgene. Jeg talte sidste gang med Bent, en halv snes dage før han døde, og som sædvanligt var slutreplikken: ”Vi snakkes!”, men det kom vi så desværre ikke til.
Bent havde et usædvanligt behageligt væsen og en underliggende humor, der gjorde samværet med ham til mindeværdige oplevelser.
Tankerne går nu til Bents familie, som har mistet en højt elsket mand og far, der virkelig tog sig af familien.
Æret være hans minde.
Thor Troest
Tidligere afdelingsleder, Institut for Odontologi og Oral Sundhed, Aarhus Universitet
Har du hørt Tandlægeforeningens podcast?
I podcasten Odontoverset nørder vi odontologi og stiller skarpt på arbejdsliv, karriere og faglighed.
Find Odontoverset i din foretrukne podcast-app.
kollegahjælp
TANDLÆGEFORENINGENS KOLLEGAHJÆLP formidler gratis og anonym hjælp til medlemmer i krise.
Region Hovedstaden
Marie Winding Turpinsvej 2
2605 Brøndby
Tlf. 36 75 48 75
Region Sjælland
Thomas Hjorth Platanvej 1
4684 Holmegaard
Tlf. 55 54 64 49 – 42 70 05 00
Louise Vilhelmsdal Søndergade 10
4800 Nykøbing F.
Tlf. 54 86 00 86 – 22 93 85 11
Region Syddanmark
Michael Rasmussen Gl. Vardevej 191 6715 Esbjerg N
E-mail:
mr.mr.rasmussen@gmail.com
Tlf. 75 13 75 13
Helle Gamst Skov Torvet 3, 6100 Haderslev helle@gamst-skov.dk
Tlf. 74 52 28 02
Region Midtjylland
Tina El-Dabagh
Tordenskjoldsgade 37, 1. th 8200 Århus N
E-mail: tinaeldabagh@hotmail.com
Tlf. 86 16 85 10 – 61 71 36 89
Region Nordjylland
Majbritt Jensen Strandvejen 3 9000 Aalborg Tlf. 20 77 32 66
Tandlægeforeningen Region Grønland
Karen Haarbo-Nygaard Tuapannguit 40 3900 Nuuk
E-mail: karenhaarbo@yahoo.com
Tlf. (+299) 547373
TandlægeTryghed
Britt Betina Jørgensen Svanemøllevej 85 2900 Hellerup
Tlf. 39 46 00 80
Ved alkohol- og misbrugsproblemer
Halsnæs Alkoholambulatorium
Ambulatorieleder
Charlotte H. Seidler
Tlf. 28 59 02 08
Psykologhjælp
Erhvervspsykologisk Rådgivning v/erhvervspsykolog
Majken Blom Søefeldt Kontakt TandlægeTryghed på: Tlf. 39 46 00 80
Mail: dagpenge@tdlt.dk
kollegiale henvisninger
Henvendelse angående kollegiale henvisninger
Tina Andersen, tlf. 33 48 77 33, e-mail: ta@tdl.dk
Pris: kr. 39,00 pr. mm + moms pr. gang.
Annoncer tegnes for 12 numre (1 år ad gangen).
Der faktureres for et halvt år ad gangen i juni måned og i december måned.
Tandlægeforeningen påtager sig ikke ansvar for om kolleger, der annoncerer under kollegiale henvisninger, besidder de fornødne kvalifikationer.
Annoncering under kollegiale henvisninger er forbeholdt medlemmer af Tandlægeforeningen.
Adipositas
Tandklinikken Ravn
• Behandling af overvægtige patienter op til 350 kg. Patienterne kan køres ind, men skal kunne gå de sidste 4 m til stolen
• Handicapvenlig parkering og indgang
Strøby Egede Center 15 4600 Køge
Tlf. 56 26 72 77 www.tandklinikkenravn.dk
Behandlingscentre
Hausergaarden I/S
Specialuddannede tandlæger
Hauser Plads 20, 2 (elevator) 1127 København K v/Nørreport Station
Tlf. 33 15 15 34 info@hausergaarden.dk www.hausergaarden.dk
• Endodonti * komplicerede
• Implantologi * Komplikationer
• Kirurgi * Knogle-opbygning
• Æstetik * Rekonstruktioner
• Protetik * Narkose
John Orloff
Dip. Imp Dent Adv RCS (Eng)
Jens Kristiansen
MSc Endo KCL (Eng)
Adam Gade Ellesøe
MSc Imp Dent (URJC)
TBT - www.tbt.dk klinik@tbt.dk
Tlf. 38 60 20 20
• Invisalign
• Kosmetisk makeover
• Implantologi
• Bidrehabilitering
Bidfunktion Jylland
Brædstrup Implantatcenter
Birgitte Skadborg Tlf. 75 75 12 36 www.implantatcenter.dk Bidfunktion og oral bidrehabilitering
Tømmergårdens Tandlæger
Steen Rosby
Stationsvej 1, 6880 Tarm Tlf. 97 37 15 15 info@rokketand.dk
• Behandling af funktionelle lidelser i tyggeorganet.
Sjælland
Stylvig
H.C. Ørsteds Vej 50C 1879 Frederiksberg C Tlf. 33 24 85 85 forum@tandlaegen.dk
Tandlægen.dk – Greve
Anders Vilmann, ph.d. Tlf. 43 43 98 98 greve@tandlaegen.dk
Tandlæge Katharina Axtmann
Farum Hovedgade 15, 1. Tlf. 31 72 83 56 Info@axtmann.dk
Tandlæge Betina Grønbæk ApS
Betina Grønbæk Stjernegade 22 1 tv
3000 Helsingør Tlf. 49 21 99 60 info@stjernegade22.dk
Dental og maksillofacial radiologi
Tandlægerne Fyrvej, Esbjerg CBCT-scan og panorama Tandlægerne Fyrvej Fyrvej 26 6710 Esbjerg V Tlf.: 75 15 06 00 www.fyrvej.dk
Aarhus Tandlægeskole
• CBCT og panorama-undersøgelse Henvisning og prisliste på dent.au.dk/tandlaegeskolen/forfagfolk
SpecialTandlægeCenter Gentofte v/ specialtandlæge Pernille Egdø
• Implantater, knogleopbygning, amotio, rodresektion, autotransplantation
• Panorama/OTP CBCT/3D Baunegårdsvej 7 L, 2820 Gentofte Tlf. 39 64 65 14 www.kaebekirurg.dk pernille@kaebekirurg.dk
Specialtandlægerne
v. Søren Schou, Aarhus
• Panorama og CBCT (3D), inkl. beskrivelse af Hanne Hintze og Lars Bo Petersen www.sptand.dk
Tandlægeskolen
Afd. for Radiologi
• Panorama og kranieoptagelser samt Cone-Beam scanning. (spec. implantatbehandling og kæbeled)
Henvisningsblanket hentes på http://odont.ku.dk/specialklinik/radiologi/henvisn_rtg/ og faxes eller sendes til afdelingen. Nørre Allé 20, 2200 Kbh. N. Tlf. 35 32 69 05/Fax 35 32 67 73
NORD Specialtandlæger Kongens Lyngby
Henvisningsklinik Kirurgi, implantologi, Endodonti, Protetik, Parodontologi & Oral medicin.
Klampenborgvej 221, 2. sal 2800 Kongens Lyngby
Tlf. 88 88 80 00 www.nord.dk
Tandlægen.dk Bagsværd
Bagsværd Hovedgade 99, 1. sal, 2880 Bagsværd Tlf. 44 98 34 20
Implantater
Fyn
Centrum Tandlægerne
Odense og Middelfart
B. Pade
N. Pade
Tlf. 66 12 62 26 – 64 40 24 03
• Implantater, protetik, kirurgi. www.centrumtandlaegerne.dk
Oris Tandlægerne
Slotsgade 21, 5000 Odense C Tlf. 66 11 44 33 slotsgade21@oris.dk
• Panoramarøntgen
• CBCT (3D)
Jylland
Brædstrup Implantat
Center
John Jensen
Jens Hartlev
Kristoffer Schwartz
Martin Saaby
Birgitte Skadborg
• Implantologi, kirurgi, narkose
• Protetiske rekonstruktioner
• 3D scanning Tinghuspladsen 6 8740 Brædstrup Tlf. 75 75 12 36 E-mail: tandlaegehuset@ implantatcenter.dk www.implantatcenter.dk
Herning Implantat Center
Louise Kold & Simon Kold Bryggergade 10 7400 Herning Tlf. 97 12 03 99 www.herningimplantatcenter.dk
• Kirurgi og protetik.
• Mulighed for narkose
Kolding Implantat Center
Jens Thorn, specialtandlæge
Henrik Hedegaard
ORIS Tandlægerne Kolding Banegårdspladsen 9
6000 Kolding Tlf. 81 18 81 18 www.ORIS.dk/kolding
• Kirurgi og protetik
Tandlægerne Fyrvej Specialtandlæge
Kristian Thesbjerg Fyrvej 26
6710 Esbjerg V Tlf. 75 15 06 00 rtg@fyrvej.dk www.fyrvej.dk
Bredt Smil Haderslev
Puk Bergmann
Nørregade 11
6100 Haderslev
Tlf. 74 52 22 49 6100@bredtsmil.dk
dinTANDLÆGE Brande
Torben Lillie
• Immediat implantologi
• Kirurgi og protetik
Torvegade 8
7330 Brande
Tlf. 97 18 00 79 www.dintandlaege-brande.dk brandetand@brandetand.dk
Risskov Implantatklinik
– Tandlægerne Risskov v/Ulrik Holm-Christoffersen MSc. Impl.
Immediat implantologi. Blødvævskirurgi
• Implantater, knogleopbygning, Amotio, Retrograd.
• Straumann, Nobel, Ankylos, Astra.
Rolighedsvej 30, Risskov.
Tlf. 70 70 55 25 info@tandlaegernerisskov.dk
Aarhus C
Thomas Guldborg
Klostergade 56, 8000 Aarhus C Henvisning via EDI Straumann & Astra Kirurgi & Protetik
Dento-alveolær kir.
EAO Master Diploma Impl.
Sjælland
Tandlægen.dk Roskilde
Maziar Talaeipour
Algade 52, 1., 4000 Roskilde Tlf. 46 35 33 13
• www.tandlaegen.dk/Roskilde
Klinikken Vestergade
- specialtandlæger i kæbekirurgi Jesper Jared Secher, specialtandlæge, Ph.d. Jesper Bak, specialtandlæge Andreas Riis, specialisttandläkare i endodonti
Obels Gaard, Vestergade 2 1456 København K Tlf. 33 15 48 99 www.klinikkenvestergade.dk
SpecialTandlægeCenter
Gentofte v/ specialtandlæge
Pernille Egdø
• Implantater, knogleopbygning, amotio, rodresektion, autotransplantation
• Panorama/OTP CBCT/3D Baunegårdsvej 7 L, 2820 Gentofte Tlf. 39 64 65 14 www.kaebekirurg.dk pernille@kaebekirurg.dk
Specialtandlægerne Bredgade Specialtandlæge Lars Pallesen www.bredgade.dk eller info@bredgade.dk Knogle- og blødtvæv. Enkelttand, bro, fuldkæbe. Narkose
Specialtandlægerne i kæbekirurgi i Lyngby
Thomas Kofod ph.d. Ole Schwartz ph.d.
Niels Ulrich Hermund ph.d Rasmus Kuniss-Kriegbaum Even Nisja
• Alt indenfor tand,- mund,- og kæbekirurgi
• De fleste typer implantater og rekonstruktioner. tandlægen.dk
Lyngby & Implantatcenter
Lyngby Hovedgade 27, 3. sal 2800 Kgs. Lyngby
Send henvisning over ediportalen 45870190 eller henvisningsblanket på hjemmesiden:
https://tandlaegen.dk/lyngby/ lyngby-hovedgade/henvisning/
NORD Specialtandlæger
Kongens Lyngby
Henvisningsklinik
Kirurgi, implantologi, Endodonti, Protetik, Parodontologi & Oral medicin.
Klampenborgvej 221, 2. sal 2800 Kongens Lyngby
Tlf: 88 88 80 00 www.nord.dk
Kirurgi
Fyn
Klinik for Kæbekirurgi, Odense
Implantat, kæbekirurgi, narkose
Torben Thygesen
Gregory Tour 50 65 62 66 www.klinik-vs15.dk
Tandlægen.dk, Centrum Odense
Peter Marker
Specialtandlæge
Grønnegade 16, 5000 Odense C Tlf 66 12 62 26
Mail: centrum-odense@tandlaegen.dk www.tandlaegen.dk/klinikker/ odense-centrum/forside Kirurgi, implantater, narkose
Tre Margueritter Tandlægeklinik Specialtandlæge
Sodaba Ghawsi-Vestergaard Tlf. 66 11 14 44 www.tremargueritter.dk
Jylland
Brædstrup Implantat Center
John Jensen
Jens Hartlev
Kristoffer Schwartz
Martin Saaby
Tinghuspladsen 6
8740 Brædstrup Tlf. 75 75 12 36 www.implantatcenter.dk
Oris Tandlægerne
Kolding Specialtandlæge, ph.d. Jens Thorn
Banegårdspladsen 9 6000 Kolding Tlf. 81 18 81 18
Mail. Kolding@oris.dk
Kirurgiklinik
Hermodsvej 22, Åbyhøj Tlf.: 70 22 35 53 www.kirurgiklinik.dk
Tandlægerne Fyrvej Specialtandlæge
Kristian Thesbjerg Fyrvej 26, 6710 Esbjerg V Tlf. 75 15 06 00 rtg@fyrvej.dk www.fyrvej.dk
Tandlægerne Silkeborgvej 297 Specialtandlæge
Lambros Kostopoulos
• Implantatbehandling samt knogleopbygning med membran.
• Rekonstruktiv knogle- og blødtvævskirurgi. Behandling af periimplantitis
Silkeborgvej 297, 8230 Åbyhøj Tlf. 86 15 43 44
Tandlægerne Kold
Louise Kold
Simon Kold
Bryggergade 10 7400 Herning Tlf. 97 12 03 99 www.tandherning.dk
E-mail: post@tandherning.dk
• Mulighed for narkose
Specialtandlægerne v. Søren Schou, Aarhus
• Oral kirurgi og implantater, inkl. narkose
Søren Schou, dr.odont. Helle B. Nielsen, ph.d.
Karen J. Nissen
Ole Möbes Otto Schmidt www.sptand.dk
Sjælland
SpecialTandlægeCenter
Gentofte v/ specialtandlæge
Pernille Egdø
• Implantater, knogleopbygning, amotio, rodresektion, autotransplantation
• Panorama/OTP CBCT/3D Baunegårdsvej 7 L, 2820 Gentofte Tlf. 39 64 65 14 www.kaebekirurg.dk pernille@kaebekirurg.dk
Specialtandlægerne Sjælland, Solrød ApS v/ Tore Lefolii og Morten Dahl Solrød Center 45, 1. 2680 Solrød Strand Tlf. 56 16 75 00 www.spsj.dk
• TMK-kirurgi og implantatbeh.
• Kirurgi på børn og unge med fokus på ortodonti
Klinikken Vestergade
- specialtandlæger i kæbekirurgi Jesper Jared Secher, specialtandlæge, Ph.d. Jesper Bak, specialtandlæge Andreas Riis, specialisttandläkare i endodonti
Obels Gaard, Vestergade 2 1456 København K Tlf. 33 15 48 99 www.klinikkenvestergade.dk
Specialtandlægerne Bredgade www.bredgade.dk eller info@bredgade.dk
Klinik for Kirurgi og Endodonti
Vibe Rud
Thomas Foldberg
Puggaardsgade 17, st. 1573 København V Tlf. 33 14 83 86
Online henvisning via www.endokir.dk
Specialtandlægerne Sjælland København, Roskilde, Kalundborg
• Dentoalveolær kirurgi
• Oral rehabilitering
Specialtandlæger i Tand-, Mund- og Kæbekirurgi:
• Tore Tranberg Lefolii
• Simon Storgård Jensen, dr.odont
• Jesper Øland Petersen, ph.d
• Libana Raffoul Bjørnstrup
• Karoline Brørup Marcussen
• Even Nisja
Protetikere:
• Klaus Gotfredsen, dr. og lic.odont
• Brian Møller Andersen www.spsj.dk
E-mail: klinik@spsj.dk
Tlf. 70 22 52 30
Specialtandlægerne i kæbekirurgi i Lyngby
Thomas Kofod ph.d.
Ole Schwartz ph.d.
Niels Ulrich Hermund ph.d
Rasmus Kuniss-Kriegbaum Even Nisja
• Alt indenfor tand,- mund,- og kæbekirurgi
• De fleste typer implantater og rekonstruktioner.
tandlægen.dk
Lyngby & Implantatcenter Lyngby Hovedgade 27, 3. sal 2800 Kgs. Lyngby Send henvisning over ediportalen 45870190 eller henvisningsblanket på hjemmesiden: https://tandlaegen.dk/klinikker/ lyngby-implantatcenter/ specialtandlaeger
NORD Specialtandlæger
Kongens Lyngby Henvisningsklinik
Kirurgi, implantologi, Endodonti, Protetik, Parodontologi & Oral medicin.
Klampenborgvej 221, 2. sal 2800 Kongens Lyngby Tlf: 88 88 80 00 www.nord.dk
Specialtandlæge i tand-, mund og kæbekirurgi
Rannvá Matras, PLUS1 Tandlægeklinik Kbh v. Tivoli og Rødovre Centrum Tlf. 36 70 76 00 www.plus1.dk/henvisning
Narkose
Fyn
Centrum Tandlægerne
Danmarks Implantatcenter Odense klinikken
Tlf. 66 12 62 26 info@centrumtandlaegerne.dk
Middelfart klinikken
Tlf. 64 40 24 03 middelfart@ centrumtandlaegerne.dk www.centrumtandlaegerne.dk
Jylland
Brædstrup Implantat Center
Tlf. 75 75 12 36 www.implantatcenter.dk
Tandlægerne Kold
Louise Kold
Simon Kold Bryggergade 10 7400 Herning Tlf. 97 12 03 99
E-mail: post@tandherning.dk
• Patienter modtages til behandling i narkose. Alm. tandbehandling, kirurgi og implantatbehandling.
Centrum Tandlægerne
Danmarks Implantatcenter
Aarhus klinikken
Tlf.: 86 13 26 36 aarhus@centrumtandlaegerne.dk www.centrumtandlaegerne.dk
Tandlægerne Fyrvej
Fyrvej 26
6710 Esbjerg V Tlf. 75 15 06 00 rtg@fyrvej.dk www.fyrvej .dk
Patienter modtages til behandling i narkose. Alm tandbehandling, kirurgi og implantatbehandling
Sjælland
Specialtandlægerne Sjælland, Solrød ApS v/ Tore Lefolii og Morten Dahl Solrød Center 45, 1. 2680 Solrød Strand
Tlf. 56 16 75 00 www.spsj.dk
• TMK-kirurgi og implantatbeh.
• Kirurgi på børn og unge med fokus på ortodonti
Tandlægecentret Svanen v/tandlæge Per Bjørndal Lyngby Hovedgade 27, 4.
2800 Lyngby
Tlf. 45 88 96 88/Fax 45 88 91 69 www.svanetand.dk
Tandlægerne i Carlsro
Tårnvej 219 2610 Rødovre
Tlf. 36 70 31 67 www.carlsrotand.dk
Tandlægen.dk Hundige Strandvej Hundige Strandvej 182 2670 Greve
Tlf. 43 90 15 15 hundigestrandvej182@tandlaegen.dk Alle former for behandling tilbydes.
NORD Specialtandlæger
Kongens Lyngby
Henvisningsklinik med anæstesi team til GA og IV-sedation.
Kirurgi, implantologi, Endodonti, Protetik, Parodontologi & Oral medicin.
Klampenborgvej 221, 2. sal
2800 Kongens Lyngby
Tlf: 88 88 80 00 www.nord.dk
Odontofobi
Maj-Britt Liliendahl
Højbro Plads 5, 2. sal
1200 København K
Tlf. 33 12 14 38
Ortodonti
Jylland
Tandregulering
Ane Falstie Juul
Nørgårds Allé 11, 1. 7400 Herning
Tlf. 97 12 59 00
• Specialtandlæge i ortodonti
Brædstrup Implantatcenter
Carsten Lemor
Tlf. 75 75 12 36 www.implantatcenter.dk
Specialtandlægerne
Aarhus Tandregulering
Morten G. Laursen
Janne Grønhøj
Susanna Botticelli
Frederiks Allé 93
8000 Aarhus C
Tlf 86 12 17 66
mail@specialtandlaeger.dk www.specialtandlaeger.dk
Tandreguleringshuset
Kim Carlsson
Jens Kragskov
• Specialtandlæger i ortodonti
Jyllandsgade 79 C, 1. sal
6700 Esbjerg
Tlf. 76 13 14 80
Tandreguleringsklinikken
Lisbeth Nielsen, Specialtandlæge, ph.d.
Christian Iversen, Specialtandlæge
Tandreguleringsklinikken
Toldboden 1, 5C
8800 Viborg
Tlf. 86 62 76 88
• Specialtandlæge i ortodonti post@tandreguleringsklinikken.dk www.tandreguleringsklinikken.dk
Specialtandlægecenter
Vestjylland
Søren Povlsen
Stationsvej 35a 7500 Holstebro
Tlf. 97 84 05 88 www.tandregulering.com
• Specialtandlæge i ortodonti
Sjælland
Specialklinik for Tandregulering
• Specialtandlæge i Ortodonti
Aida Basic
Hauser plads 20, 2. sal 1127 København K
Tlf. 33 93 07 23 www.tandregulering.info
Specialtandlæge i Holte
• Specialtandlæge i ortodonti
Lone Møller
Holte Stationsvej 6, 1. sal, 2840 Holte Tlf. 45 42 16 88 www.holtetandreguleringsklinik.dk
Specialtandlægerne
• Specialtandlæger i ortodonti
Michael Holmqvist
Rosenborggade 3, 1. 1130 København K
Tlf. 33 12 32 12 orto@specialtandlaegerne.dk
Specialtandlægerne i Roskilde
• Specialtandlæger i ortodonti
Søren Wiborg Lauesen
Jens Fog Lomholt
Ringstedvej 18, 2. th. 4000 Roskilde Tlf. 46 36 50 33 www.specialtandlaegerne.com
Tandlægen.dk Hundige Strandvej
Specialtandlæge Glen Happel
Hundige Strandvej 182
2670 Greve
Tlf. 43 90 15 15 hundigestrandvej182@tandlaegen.dk
Parodontalbehandling
Fyn
Oris Tandlægerne
Det Gule Pakhus
Mette Rylev, ph.d. Havnepladsen 3b 5700 Svendborg Tlf. 62 21 20 09
E-mail: detgulepakhus@oris.dk www.oris.dk/svendborg
Jylland
Brædstrup Implantat
Center
Camilla Kristensen Tlf. 75 75 12 36 www.implantatcenter.dk
Tandlægerne Store Torv
Lone Sander, ph.d.
Mette Rylev, ph.d.
Mette Kjeldsen, ph.d.
Björn Emil Neumann
Martin Persson (protetik) Tlf. 86 12 73 50 http://tdl-storetorv.dk
Tandlægerne Aarhus Ø Anders Heide
Rodrigo López, ph.d., dr.odont. Esther Aggebos Gade 2 8000 Aarhus C Tlf. 73 70 85 00 t@ndlæge.dk
Sjælland
Københavns Paradentoseog Implantat Klinik
Marianne Hoffmeyer, M.S., Diplomate Board Certified Periodontist (USA) Strøget, Kbh K. Tlf. 33 13 66 60 www.strogettand.dk
Tandlægen.dk Roskilde Maziar Talaeipour
-Parodontal kirurgi bla. regenerativ behandling
-Mikro kirurgi (paradontal plastikkirurgi)
-Behandling af periimplantitis
Algade 52, 1., 4000 Roskilde Tlf. 46 35 33 13 www.tandlaegen.dk/Roskilde
Colosseum Tandlægerne Rosenborggade København Rosenborggade 3, 2. 1130 København Tlf. 33 11 39 66
E-mail: noerreport@colosseumklinikken.dk www.colosseumklinikken.dk
Tandklinikken Ravn
Nørregade 9 og Strøby Egede Center 15 4600 Køge
Tlf. 56 65 25 09 – 56 26 72 77 www.tandklinikkenravn.dk
Specialtandlægerne Bredgade
Christian Damgaard, ph.d. www.bredgade.dk eller info@bredgade.dk
Parodontitis, peri-implantitis, regenerativ parodontalkirurgi, CBCT, narkose
Nord Specialtandlæger
Daniel Midjord-Belstrøm, professor, dr. odont, ph.d. Diagnostik og parodontalkirurgi Henvisningsklinik med anæstesi team til GA og IV-sadation. Kirurgi, implantologi, Endodonti, Protetik, Parodontologi & Oral medicin.
Klampenborgvej 221, 2. sal 2800 Kongens Lyngby Tlf: 88 88 80 00 www.nord.dk
Tandlæge Maria Mejsig Justesen
Parodontalkirurgi og regenerativ behandling
Borupvang 3C, Ballerup Tlf. 36 70 76 00 mj@plus1.dk
Protetik
ORIS Tandlægerne
Steen Bjergegaard
Slotsgade 21, 5000 Odense C Tlf. 66 11 44 33 slotsgade21@oris.dk
• Fast protetik, inkl. implantatforankret protetik
Rodbehandling
Brædstrup Implantatcenter
Christian Dalby Tlf. 75 75 12 36 www.implantatcenter.dk
Tandlægen.dk Bagsværd
• Endodonti
Christian Bruun Møller Bagsværd Hovedgade 99, 1. sal, 2880 Bagsværd Tlf. 44 98 34 20
Mail: bagsvaerd@tandlaegen.dk www.tandlaegen.dk/bagsværd
Colosseum Tandlægerne
Kongensgade Odense Kongensgade 54
5000 Odense Tlf. 66 11 67 01 odense@colosseumklinikken.dk Ref. Kirsten Rysgaard
Vesterbro TandlægeCenter
Niels Bruun
Kasper Bruun Vesterbrogade 10, 2.tv 1620 København V Tlf.: 33 24 79 33 info@vesterbrotandcenter.dk
Tandlægen.dk Allerød • Udelukkende endodonti Younes Alipanah Torvestrædet 27 3450 Allerød Tlf. 48 17 24 25 j.buchgreitz@gmail.com
Tandlægen.dk Bagsværd
• Retrograd endodonti Jens Tang Bagsværd Hovedgade 99, 1. sal. 2880 Bagsværd Tlf. 44 98 34 20
Mail: bagsvaerd@tandlaegen.dk www.tandlaegen.dk/bagsværd
RodbehandlingsCenter.dk v/ Thomas Harnung
Vester Farimagsgade 1, 3. sal. 1606 København V www.endo-henvisning.dk
Tlf. 44 44 44 11
Tandlægerne Fyrvej Søren Grønlund Fyrvej 26 6710 Esbjerg V Tlf: 75 15 06 00 rtg@fyrvej.dk www.fyrvej.dk
Tandlægerne Hedegaard & Kjærgaard
Thomas Hedegaard
Storegade 3, 8382 Hinnerup Tlf. 86 98 56 26
E-mail: henvisning@storegade3.dk www.storegade3.dk
• Ortograd og kirurgisk endodonti
Colosseum Tandlægerne
Slotsgade Odense
Anders Burgaard
Slotsgade 18
5000 Odense C Tlf.: 66 11 96 46
Henvisninger:
EDI: Tandlæge Anders Burgaard ApS Sikkermail: ab@slotsgade18.dk
Risskov Tandklinik
Mads Juul
Dybbølvej 25, 8240 Risskov Tlf. 86 17 83 22 Henvisning modtages via EDI www.risskovtand.dk
Specialtandlægerne Bredgade www.bredgade.dk eller info@bredgade.dk
Mikroskopvejledt endo, stiftopbygning ifm. endodonti, CBCT, narkose
Tandlægen.dk – Greve
• Endodonti
Anders Vilmann, ph.d. Tlf. 43 43 98 98 greve@tandlaegen.dk
Tandlægerne Rådhusstrædet Mads Bojer Rådhusstrædet 12A, 7430 Ikast E-mail: mads@tandikast.dk
Tandlægerne i Støden, Kasper Holm Busk
Støden 6, st., 4000 Roskilde Tlf. 46 36 64 00 info@tandlaegerneistoden.dk
NORD Specialtandlæger Kongens Lyngby
Younes Alipanah, Msc i endodonti
Sune Demant, ph.d. og Msc i endodonti
Henvisningsklinik med anæstesi team til GA og IV-sedation. Kirurgi, implantologi, Endodonti, Protetik, Parodontologi & Oral medicin.
Klampenborgvej 221, 2. sal 2800 Kongens Lyngby Tlf: 88 88 80 00 www.nord.dk
tandlægen.dk Roskilde Nasim Shirkhanloo Algade 52, 1. 4000 Roskilde 46 35 33 13 www.tandlaegen.dk/Roskilde
Æstetisk tandpleje
Hausergaarden
John Orloff
• Æstetik * eget dental lab. Se under behandlingscentre www.hausergaarden.dk
NYT! DETECTION EYE






Zirkonzahns nye Detection Eye intraorale scanner skiller sig ud ved sin høje scanningshastighed (kæben digitaliseres i løbet af under 60 sekunder), præcise aftryksoptagelse og lave vægt. Scanneren er nem at bruge, og valget mellem to forskellige ender gør behandlingen behageligere og mere patientvenlig.







r.zirkonzahn.com/oml















Rengøringsservice i 20 år
Rengøringsservice i 20 år
Rengøringsservice i 20 år
NIR Rengøring
til tandklinikker
NIR Rengøring til tandklinikker
Vi overholder de nationale infektionshygiejniske retningslinjer for hygiejne hos tandlæger. Med høj faglighed er vores medarbejdere rustet til opgaven.
Vi overholder de nationale infektionshygiejniske retningslinjer for hygiejne hos tandlæger. Med høj faglighed er vores medarbejdere rustet til opgaven.
Vi overholder de nationale infektionshygiejniske retningslinjer for hygiejne hos tandlæger. Med høj faglighed er vores medarbejdere rustet til opgaven.
Ring eller skriv – vi i er landsdækkende
Ring eller skriv – vi er landsdækkende
Riing g eller skriv – vi er l lanndsdækkkeende
Delta Rengøring
Delta Rengøring
Delta a Reenngøring g
ApS
Teglvej 1,4990 Sakskøbing
Teglvej 1,4990 Sakskøbing
Teglvej 1,,4990 Saksskøøbinng
Tlf 4054 6546
Tlf 4054 6546
Tlf 4054 6 6546
delta@delta-rengoering dk
delta@delta-rengoering dk
delta@ddeltaa--renggoering d dk
www.delta-rengoering.dk
www.delta-rengoering.dk

www.delta-rengoering.dk
stillinger
Henvendelse angående rubrikannoncer
Tina Andersen, tlf. 33 48 77 33, e-mail: ta@tdl.dk
Pris
Stillingsopslag kr. 36,00 pr. spaltemm.
Køb & salg kr. 28,00 pr. spaltemm.
Brugtbørsen kr. 24,00 pr. spaltemm. Bureauprovision ydes ikke for annoncer indrykket gennem bureau.
Stillingsopslag i udlandet modtages ikke under billetmrk.
Sidste frist for indrykning af rubrikannoncer
Tandlægebladet nr. 11 2025: 3/11. Udkommer: 18/11. Tandlægebladet nr. 12 2025: 1/12. Udkommer: 16/12.
Ansættelseskontrakter for ansatte tandlæger
Ifølge loven skal du som ansat have en ansættelseskontrakt, der beskriver alle relevante forhold for ansættelsen.
Offentligt ansatte tandlægers ansættelseskontrakt skal henvise til den relevante overenskomst, mens lønnen som regel vil fremgå af en særskilt lønaftale. Lønaftalen indgås af Tandlægeforeningen efter aftale med dig.
Privat ansatte tandlæger har ingen gældende overenskomster, men når du bruger Tandlægeforeningens standardkontrakter, bliver lovens betingelser opfyldt. Kontakt altid Tandlægeforeningen, inden du skriver kontrakten under.
Læs mere om ansættelseskontrakter på Tdlnet.dk
Norsk klinikk søker spesialist i kjeveortopedi
Ønsker du å bli en del av et moderne og hyggelig fagmiljø? Tannhelsesenteret Lørenskog AS søker nå etter en spesialist i kjeveortopedi som ønsker å jobbe heltid eller deltid ved vår veletablerte klinikk i Lørenskog.
Vi ser etter en engasjert og dyktig kjeveortoped som ønsker å bidra til å utvikle vårt tilbud innen kjeveortopedi. Stillingen er fleksibel, og kan tilpasses dine ønsker om arbeidstid – enten du ser etter heltid eller en deltidsstilling ved siden av annen praksis.
Kvalifikasjoner:
• Skandinavisk autorisasjon som tannlege med godkjent spesialistutdanning i kjeveortopedi
• Gode kommunikasjonsferdigheter på norsk eller et annet skandinavisk språk
• Evne til å jobbe selvstendig og strukturert
• Gjerne erfaring fra privat praksis, men dette er ikke et krav
Kontakt e-mail: per@thsl.no Hjemmeside: tannhelsesenter.no
quickannoncer
Klinik i Sønderborg Bymidte søger tandlæge
QUICK NR. 18069
Klinik i Haslev søger tandplejer
Klinik i Ringkøbing søger tandplejer
QUICK NR. 18099
QUICK NR. 18106
Sehested Tandlægerne søger tandplejer
QUICK NR. 18111
Sehested Tandlægerne søger tandklinikassistent
QUICK NR. 18140
Kalundborg Kommunale Tandpleje søger tandlæge
QUICK NR. 18153
Tandlægehuset Hillerød søger klinikassistent
QUICK NR. 18168
Herning kommunale tandpleje søger tandlæge
QUICK NR. 18169
Gribskov kommunale tandpleje søger klinikassistentvikar
QUICK NR. 18170
Klinik i Skanderborg søger tandlæge
QUICK NR. 18171
Attraktive og veldrevne klinikker i Ølstykke og
Slangerup søger klinikchef
QUICK NR. 18173
Godt Smil Horsens C søger Tandlæge på deltid
QUICK NR. 18175
Klinik i Aarhus søger tandlæge
QUICK NR. 18176
Klinik i Aarhus søger klinikassistent
QUICK NR. 18177
Moderne tandlægeklinik i Roskilde søger klinikassistent
QUICK NR. 18178
Dentis Hillerød søger klinikassistent/patientvejleder
QUICK NR. 18179
Rønde Tandlægeklinik søger engageret receptionist
QUICK NR. 18180
Dentist.dk Holstebro søger tandplejer (gerne nyuddannet)
Klinik i Hørsholm søger tandlæge
QUICK NR. 18181
QUICK NR. 18185
Holte tandklinik savner ny klinikassistent
QUICK NR. 18186
Klinik i Hinnerup søger klinikassistent til barselsvikariat
QUICK NR. 18187
Travl praksis i Bjerringbro søger tandplejer pr. 1/12-25
QUICK NR. 18188
Klinik i Slagelse søger klinikassistentelev start nov. 2025, senest jan. 2026
QUICK NR. 18189
Kerteminde kommunale tandpleje søger tandlæge
QUICK NR. 18190
quickannoncer
Norsk klinikk søker spesialist i kjeveortopedi
QUICK NR. 18191
Klinik i Lystrup søger klinikassistent
QUICK NR. 18192
Specialtandlægerne Sjælland søger klinikassistent
QUICK NR. 18193
Klinik i Roskilde søger tandplejer
QUICK NR. 18195
Godt Smil Fredericia søger tandlæge
QUICK NR. 18196
Odontologisk Institut, Københavns Universitet søger tandlæger og specialtandlæger til klinisk undervisning
QUICK NR. 18198
Klinik i Nordsjælland søger sød og dygtig tandplejer til fast deltidsstilling
QUICK NR. 18199
Klinik i Aarhus N søger tandplejer til vikariat
QUICK NR. 18200
Klinik på Christianshavn søger klinikassistent
QUICK NR. 18201
Mangler du en medarbejder?
Hvis jobannoncen bliver indrykket på både
Dentaljob.dk og i Tandlægebladet, får du 50 % rabat på annoncen i bladet
køb og salg
Dental Consult ApS
v/ Ken Kürstein
Strandvej 22 4220 Korsør M: 20 20 92 12 kk@DentalConsult.dk www.DentalConsult.dk
Vores særlige kompetencer er:
• Handel med Tandklinikker (klinikmægler)
– Ejerskifte og Generationskifte af Tandlægeklinikker
– Køb og Salg af tandklinikker
– Sælgerrådgivning Salgsopstillinger (prospekt)
– Køberregister (potentielle købere)

– Sælgerkartotek (potentielle sælgere)
• Finansiering af klinikker og udstyr www.Kapital-Coach.dk
• Forretningsudvikling af tandklinikker, ring og hør mere
• Rekruttering af tandlæger, tandplejere og klinikassistenter
Fin klinik til salg i Svendborg.
Tandklinik centralt beliggende i hjertet af Svendborg udbydes nu til salg.
Glidende generationsskifte er muligt.
Det aktive patientgrundlag er 2.818 stk.
Årlig omsætning ca. 6.9 mil. med særdeles fine muligheder for at øge omsætning og patienttilgang.
Store lyse klinik rum.
For nærmere information kontakt:
Klinikmægler
Ken Kürstein
Tlf.: 20 20 12 92
Mail: kk@dentalconsult.dk www.dentalconsult.dk

Klinikbørsen ApS
Kvæsthusgade 6 E, 3. sal 1251 København K.
Tlf.: +45 70 20 69 79
Mobil: +45 20 24 49 79
E-mail: bc@klinikborsen.dk www.klinikborsen.dk
Vil du sælge, og vil du have en seriøs behandling af dit kliniksalg med respekt for klinikken og dine medarbejdere, så tag gerne fat i os.
Klinikformidleren.dk
Info@klinikformidleren.dk Tlf. 20124796 klinikformidleren.dk
Vil du sælge, og vil du have en seriøs behandling af dit kliniksalg med respekt for klinikken og dine medarbejdere, så tag gerne fat i os.
Klinikformidleren.dk
Info@klinikformidleren.dk Tlf. 20124796 klinikformidleren.dk
Klinikformidleren.dk
Info@klinikformidleren.dk Tlf. 20124796 klinikformidleren.dk
Seriøst kliniksalg i hele Danmark. Se vores hjemmeside for aktuelle klinikker, eller kontakt os på tlf. 20 12 47 96 for at høre nærmere.
Vil du sælge, og vil du have en seriøs behandling af dit kliniksalg med respekt for klinikken og dine medarbejdere, så tag gerne fat i os.
Vil du sælge, og vil du have en seriøs behandling af dit kliniksalg med respekt for klinikken og dine medarbejdere, så tag gerne fat i os.
Klinikformidleren.dk
Info@klinikformidleren.dk Tlf. 20124796 klinikformidleren.dk
leverandørhenvisninger
Henvendelse angående leverandørhenvisninger
Heidi Dyhr hos DG Media, tlf. 28 34 29 21, e-mail: heidi.d@dgmedia.dk

advokater

JURIDISK RÅDGIVNING TIL TANDLÆGER
Med mere end 20 års erfaring inden for sundhedssektoren kan jeg hjælpe dig sikkert i mål med dine juridiske spørgsmål og bistår i forhandlinger om overdragelse, samarbejdsvilkår, opløsning af samarbejde, ansættelsesforhold, lejemål, deltagelse i rets- og voldgiftssager etc.

(H)
ng@adv-nyhavn.dk ⁄ +45 33 11 93 13 / Nyhavn 6, 1051 København K www.tandlaege-advokat.dk

Mette Neve
PARTNER, ADVOKAT
M: +45 5074 4173 neve@clemenslaw.dk
Få rådgivning omkring køb og salg af tandlægeklinik. Dit valg af rådgiver gør en forskel! Købe eller sælge?

abonnements system
Test sterilisationsprocessen i din autoklave med biologiske indikatorer
• Automatisk fremsendelse
• Autoudfyldte oplysninger
www.safeint.com · info@safeint.com · Tlf: +45 70 231 313

Som tandlæge hos Godt Smil kan du forvente:
Fuldt fokus på patienten – vi klarer resten.

En fyldt aftalebog (vores bookingprocent er pt. på 90%).
En arbejdsplads, hvor der bliver lyttet til dig og dine ønsker.


Niels Gade Advokat
Klinikindretning, Hjemmeside, Visuel Identitet
Skab Din Drømmeklinik
kurser - uddannelse

Vi er specialister i førstehjælpsundervisning til tandklinikker og du kan være med til at gøre en forskel. HLR-HJÆLP sørger for, at det både er sjovt og underholdende at lære førstehjælp.
Kontakt Casper Behrendt på tlf. 8171 3121 www.hlrhjælp.dk
revision – administration

At vælge revisor er en tillidssag
Derfor har vi specialiseret os i rådgivning af tandlæger
Kontakt: Paw Hjelmberg Laursen paw.hjelmberg.laursen@pwc.com
NYT REVISIONSFIRMA men mange års erfaring indenfor tandlægebranchen.
Vi kan tilbyde specialiseret rådgivning indenfor bl.a.:
• Driftsoptimering af klinik
• Køb/salg klinik
• Formueoptimering
■ Jeanne Svendsen, Mobil: 30 93 49 06

■ Anders Frihed Hedegaard Christensen, Mobil: 30934763
■ www.powered-by.dk
vikarservice
+DEN LILLE TANDFE
• Erfarne klinikassistenter og tandplejere
• TryB4Hire
• Rekruttering
• Dækker hele Danmark Kontakt os på 4076 1993 / kontakt@denlilletandfe.dk
Læs mere på: denlilletandfe.dk

Vikarbureauet for klinikassistenter
• Landsdækkende Vikarservice
• Nu også for Tandplejere

• Lidt billigere
• Ring fra kl. 6.00 på tlf. 40 40 12 18 www.vikartoteket.dk

VIKARBUREAUET
Det er netop det akutte, jeg synes er sjovt
EN DAG KAN STARTE MED UROLIGE PATIENTER i stolen på egen klinik og ende med betændte visdomstænder, traumer og abscesser i Tandlægevagten på Oslo Plads for tandlæge Lotte Olesen.
FORTALT TIL SOFIE SPARRE
06.20 / Står op og spiser morgenmad. Det er tirsdag den 23. september 2025, og jeg skal på arbejde i både min egen klinik og i Tandlægevagten i København. Jeg kører fra Virum mod Græsted, hvor min klinik ligger. Klokken otte lægger dagens første patient sig i stolen. Det er en dag med et par stykker af de lidt tungere patienter med store behandlingsbehov, som samtidig har svært ved at samarbejde.
1 7. 1 5 / Jeg er færdig med den sidste patient. En ældre herre med demens, som skal have fjernet en tand. Han har svært ved at ligge stille i stolen, så det tager tid. I løbet af dagen har jeg haft ni patienter. Efter at have skrevet journal kører jeg hjem.
1 8. 3 0 / Hele familien spiser aftensmad sammen. Græske frikadeller med kartofler og tzatziki. Efterfølgende kører jeg mod Tandlægevagten i København, hvor jeg har aftenvagt.
19. 5 0 / Jeg møder ind i Tandlægevagten. I dag har vi også to tandlægestuderende med. Den første patient er en
ung kvinde med en visdomstand med betændelse. Hun har stærke smerter, så vi åbner op og skyller. Hun får besked om at kontakte egen tandlæge i morgen. Efterfølgende har jeg tid til at tale med de studerende, som spørger ind til mit arbejdsliv, som jeg heldigvis er glad for. Der er god balance mellem job og fritid, jeg nyder kontakten til patienterne, og jeg har en god personalegruppe. Og så holder jeg meget af at arbejde i Tandlægevagten. Her føler jeg, at vi gør en forskel, og jeg kan mærke, at patienterne er glade for, at vi er der.
20.30 / Den næste patient sætter sig i stolen. Det er en ung mand, der også har smerter ved en visdomstand. I det hele taget byder vagten på en del akutte oplukninger og skylninger. Normalt kommer patienterne med enten betændelse, abscesser, knækkede tænder, tabte kroner eller traumer. Og så ser vi en del børn, som enten har en rokketand, har slået tænderne eller har knækket noget på deres ortodontiske apparatur, som generer. Altså de ting, der ikke kan vente, til deres egen tandlæge åbner.
21.30 / En times tid senere er jeg færdig med den sidste patient. En mand, der har fået påbegyndt en rodbehandling for en-to år siden, som ikke er blevet gjort færdig. Vi laver en akut oplukning og sender ham hjem med en henvisning til at gå til egen tandlæge. Det gør han sikkert ikke, så vi ser ham måske, når han får ondt igen. Mange af de mennesker, som har tandlægeskræk eller dårlig økonomi, bruger ofte vagten som nødløsning. Det er lidt sørgeligt at se, hvor galt det kan gå, men netop disse patienter bliver altid virkelig glade for behandlingen.
21 . 50 / Jeg kører mod Virum. I løbet af den halvanden time, som vagten har varet, har vi set seks patienter. En normal vagt kan byde på alt fra nul til 20 patienter, og fordi patienterne altid bare møder op uden tidsbestilling, ved vi aldrig, hvad vi skal forvente. Men det er netop det akutte, der gør, at jeg synes, at det er sjovt. Efter jeg er kommet hjem, går jeg i seng med en bog og en kop kamillete. Det har været en lang dag, men jeg kan heldigvis se frem til en fridag i morgen. ♦
LOTTE OLESEN
Tandlæge, Græsted



Vi
Vi forstår dig nok lidt bedre end andre banker
forstår dig nok lidt bedre end andre banker
Tandlægeforeningen er medejer af Lån & Spar, og det giver dig klare fordele – naturligvis. Udover Danmarks højeste rente på lønkontoen, lave gebyrer, billige billån og meget andet, får du en fagspecifik rådgiver. Det er en rådgiver, der kender alt til din branche, dit fag og dine ansættelsesvilkår.
Tandlægeforeningen er medejer af Lån & Spar, og det giver dig klare fordele – naturligvis. Udover Danmarks højeste rente på lønkontoen, lave gebyrer, billige billån og meget andet, får du en fagspecifik rådgiver. Det er en rådgiver, der kender alt til din branche, dit fag og dine ansættelsesvilkår.
Er du selvstændig?
Er du selvstændig?
Som selvstændig får du de samme fordele som andre tandlæger – endda også en specialiseret rådgiver, der taler dit fagsprog. Og det er uanset, om vi skal tale finansiering af klinik, pension eller forsikring. For hvad der er vigtigt for dig, er vigtigt for os.
Som selvstændig får du de samme fordele som andre tandlæger – endda også en specialiseret rådgiver, der taler dit fagsprog. Og det er uanset, om vi skal tale finansiering af klinik, pension eller forsikring. For hvad der er vigtigt for dig, er vigtigt for os.
Ring 3378 2388 eller gå på lsb.dk/erhverv
Ring 3378 2388 eller gå på lsb.dk/erhverv
Få ro i maven omkring regler og tilsyn
Er det en kamp at holde styr på regler og dokumentation i en travl klinikhverdag? Og er du alligevel bekymret for at have overset noget?
Med Complianter får du et digitalt system, der holder styr på det hele for dig – så du kan slippe bekymringerne og fokusere på patienterne.

En af de vigtigste fordele for mig som klinikejer er, at Complianter giver ro i maven – jeg ved, at jeg har styr på de ting, jeg skal have styr på, og personalet har også fået et langt bedre overblik.
Mette Spile, klinikejer og tandlæge, Tandlægerne Sundhedshuset Sønderborg

KOM MED TIL GRATIS WEBINAR
Vil du også opleve, hvordan Complianter giver ro i maven? Tilmeld dig vores gratis webinar 11. november på plandent.dk/complianter
