DissoAmerica 2022 - Session 5 - Padma Devarajan

Page 1

ADVANCED THIRD GENERATION

SOLID DISPERSION FILMS

Facile Innovative Technology

Dean-Research and Innovation, Senior Professor in Pharmacy and former Head, Department of Pharmaceutical Sciences and Technology, Institute of Chemical Technology(Deemed University) Mumbai. E-mail: pv.devarajan@ictmumbai.edu.in

19-21, 2022

DISSO AMERICA2022 SEPTEMBER
SOLID DISPERSION API CAR RIE R + EXC IPIE NTS

CONVENTIONAL

FORMULATIONS

BCS CLASSIFICATION

SOLUBILIZATION SOLID DISPERSIONS

BCS IV

BCS II

BCS I

ADVANCED

ATGSDF ADVANTAGE

BIOENHANCEMENT

THIRD GENERATION SOLID DISPERSION ATGSDF FILM TECHNOLOGY ATGSDF BCS II/IV DRUG
FIRST GENERATION CRYSTALLINE SECOND GENERATION • POLYMERIC THIRD GENERATION • POLYMERS FOURTH GENERATION • POLYMERS SOLID DISPERSIONS IMMEDIATE RELEASE CONTROLLED RELEASE UREA SUGARS POLYMERS POLYMERS CUM SURFACTANTS POLYMERS, CUM SURFACTANTS CONTROLLED RELEASE POLYMERS BCS II/IV DRUGSBCS II DRUGS

CHALLENGES IN SOLID DISPERSIONS

ATGSDF A PROPOSED SOLUTION

ADVANCED THIRD GENERATION SOLID DISPERSION FILM ATGSDF POLYMER AS A FILM &

SELF MICROEMULSIFYING COMPOSITION (SMEC)

ADVANCED THIRD GENERATION SOLID DISPERSIONS

Is it an Oral Thin Film???
Indeed!! An Oral Thin Film with a twist !! It is wrapped around a core

ORAL THIN FILM MANUFACTURE

COATED TABLETS

ATGSDF SCHEMATIC

DISINTEGRATED DRUG FREE

CORE (<1 MINUTE)

DRUG LOADED

RELEASED IN SITU

FILM
Film wrapped around a core

FILM

ATGSDF

• ENHANCED SURFACE AREA

SMEC

•PLASTICIZATION

SMEC

RAPID

DISSOLUTION

SMEC ENHANCED PERMEATION

BIOENHANCEMENT

ADVANTAGE ATGSDF

Advanced yet simple technology

Based on time tested technology practiced in the pharma industry

combination of

AND

• Innovative
Solid dispersion Technology SMEDDS Technology OTF Technology SIMPLE
EFFECTIVE

ADVANCED THIRD GENERATION SOLID DISPERSION FILM OF CURCUMIN

VALIDATING THE ATGSDF

Mande PP, Bachhav SS, Devarajan PV. Solid dispersionof curcumin as polymericfilms for bioenhancement and improvedtherapy of rheumatoidarthritis.PharmRes 2016;33(8):1972 87.

THE METHOD

Solubility of curcumin in SMEDDS components (Oil/surfactant/cosurfactant)

Identifying SMEDDS region

Preparation of CUR-SMEC

Preparation and Evaluation of Polymeric flims with and without CUR-SMEC

ATDSDF of Cur by coating Polymeric solutions with and without CURSMEC In vitro and in vivo evaluation

CURCUMIN SOLUBILITY • Cur exhibited good solubility of greater than 25mg/mL in most components CapmulMCMCaptex300LabrasolTween80PropyleneGlycolSMEC TEC DBSS/Cos 0 20 40 60 80 Capmul MCM Captex 300 Labrasol Tween 80 Propylene Glycol SMEC TEC DBS S/Cos 45.72 27.2 71.43 43.31 26.85 42.14 3.85 2.11 30.56 Cur solubility mg/mL 14

Pseudo-ternary phase diagrams Capmul MCM

The globule size obtained with selected SMEC was between 100 and 120nm, confirming microemulsion formation

15

PREPARATION OF SELF MICROEMULSIFYING COMPOSITION (SMEC)

SMEC PG Tween 80 Capmul MCM 16 High curcumin solubility

COATING SOLUTION

FREE FILMS
• Polymers : Kollidon VA 64, HPMC,, Eudragit EPO and Eudragit RLPO, Soluplus • Drug: CURCUMIN • SMEC Components/Plasticizers • Solvent system: Acetone: water (80:20) FILM FORMATION • Casting • Films observed under fluorescence microscope using IF550 filter at 4x/0.13PhL lens (Olympus, Japan) 17

K VA

Unplasticized

FREE FILM STUDY

TEC DBS

SMEC

Smooth and uniform films with SMEC with no crystallization Crystallization of Cur seen with TEC and DBS

HPMC
Soluplus EPO RLPO
18

ATGSDF

Simple & Innovative

19

ATGSDF

Simple & Innovative

WATER

CUR- ATGSDF

Cur SMEC-SDs film after disintegration of tablet

➢IPA-ACG SCITECH INNOVATION AWARD 2017
20

SCANNING ELECTRON MICROSCOPY (SEM)

A B C D E F

✓ Cur SMEC-SD (KSM20) revealed smooth, homogenous and uniform films with no evidence of Cur crystallization. ✓ Cur SD (KSM0) revealed crystals of with cracks on the film. 21 CUR SMEC-SD CUR - SD
CONTACT ANGLE Inertcore KSM0KSM20HSM20EPSM20SSM20RLSM20 0 50 100 150 Inert core KSM0 KSM20 HSM20 EPSM20 SSM20 RLSM20 78 129 7 14 15 24 27Contact angle (Degree) 22 SIGNIFICANTLY LOW CONTACT ANGLE

IN

RELEASE

of polymer

Effect of SMEC/plasticizer

VITRO DRUG
• Kollidon SR (KSR) as polymer • t50% 6.45min and • t90% 28.45min • Significantly slower release with other polymers 23 KSR with SMEC significantly faster release Effect

IN VITRO DRUG RELEASE

of surface area

Effect of barrier coat

24
Surface area can be modified to tailor drug release and drug loading Effect
F2 value 74.25 Barrier coating did not affect release

ADVANTAGE ATGSDF-CUR

O ALL CUR SMEC SDS

REVEALED MICROEMULSION

FORMATION IN DISSOLUTION

WITH GLOBULE SIZE IN

RANGE OF

MEDIA
THE
100-115NM AND PDI < 0.3.

PHARMACOKINETIC STUDY

26

plantar injection of 0.1 ml of CFA in the

PHARMACODYNAMIC STUDY Rheumatoid arthritis Model

Organ removal for Histopaths

27 Day1 Day7 Day14 Day21 Sub
left hind paw Body Weight & Paw Vol. measurement Daily oral dosing of Test and Standard formulation (10mg/Kg/day)

RADIOGRAPHY

ATGSDF-CUR COMPARABLE TO INDOMETHACIN

28

REDUCTION IN SYNOVIAL JOINT SWELLING

(A) Normal rats (B) Arthritic control (C) IND (D) Plain Cur (E) Cur SDs (F) Cur SMEC-SDs 29 ATGSDF-CUR COMPARABLE TO INDOMETHACIN

C-REACTIVE PROTEIN AND RHEUMATOID FACTOR

ATGSDF-CUR COMPARABLE TO INDOMETHACIN

30

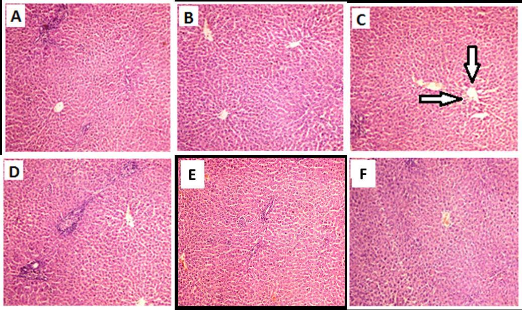
LIVER HISTOPATHOLOGY

Indometha cin Liver toxicity

Liver toxicity

31 ATGSDF-CUR No
(A) Normal rats (B) Arthritic control (D) Plain Cur (E) Cur SDs

ADVANCED THIRD GENERATION SOLID DISPERSION FILM OF TADALAFIL

VALIDATING THE ATGSDF

Mande PP, Bachhav SS, Devarajan PV. Bioenhanced advanced thirdgenerationsoliddispersionof tadalafil: Repurposing with improvedtherapy in pyelonephritis. Asian J. Pharm

2017;

Sci.
12 (6):569-579.

- SD

SCANNING ELECTRON MICROSCOPY (SEM)

✓ TDL SMEC-SD revealed smooth, homogenous and uniform films with no evidence of Cur crystallization.

✓ TDL SD revealed crystals of with cracks on the film.

33 TDL SMEC-SD TDL

PHARMACOKINETIC STUDY

KIDNEY HISTOPATHOLOGY

TDL SMEC SD No Kidney toxicity

BIOMARKER ESTIMATION

BLOOD UREA NITROGEN (BUN)

NITRIC OXIDE (NO2)

SERUM CREATININE (SCR)

TDL SMEC SD

2

BUN SCR NO

CONCLUSION

• PRESENTS PLATFORM TECHNOLOGY AND AFFORDABLE EXCELLENCE

ATGSDF PRESENTS SIMPLE AND ELEGANT COMBINATION OF SOLID DISPERSION, SMEDDS AND FILM TECHNOLOGIES AS A NEW AND ADVANCEDSTRATEGY FOR BIOENHANCEMENT
37

INSTITUTE OF CHEMICAL TECHNOLOGY MUMBAI

PVD RESEARCH GROUP

HUGE THANKS TO ALL MY STUDENTS OVER THE YEARS

SPDS

ACKNOWLEDGEMENTS

SPDS US CHAPTER

RESEARCH STUDENTS

• MY
40 THANK YOU

Turn static files into dynamic content formats.

Create a flipbook
Issuu converts static files into: digital portfolios, online yearbooks, online catalogs, digital photo albums and more. Sign up and create your flipbook.