SSO Spring 2025 Newsletter

Page 1


SSO LEADERSHIP

Presidents

Dr. Eric Nease, Spartanburg, SC

Dr. Matthew Ng, The Woodlands, TX

Presidents - Elect

Dr. Christine Ellis, Dallas, TX

Dr. Preston Miller, Jackson, TN

Secretary - Treasurer

Dr. Donald Balhoff, Lafayette, LA

Senior Director

Dr. Kyle Shannon, Tulsa, OK

Junior Director

Dr. Jeremy Albert, Trinity, FL

AAO Trustees

Dr. Enrique Cruz, SWSO, Austin, TX

Dr. Steve Robirds, SWSO, Austin, TX

Dr. Richard Williams, SAO, Southaven, MS

Directors, The American Board of Orthodontics

Dr. Onur Kadioglu, SWSO, Oklahoma City, OK

Dr. Timothy Tremont, SAO, Charleston, SC

Directors, The American Association of Orthodontists Foundation

Dr. John Carter, Leawood, KS

Dr. Neal Kravitz, Chantilly, VA

Editor

Dr. Jim Vaden, Cookeville, TN

ON THE COVER:

The SSO Board of Directors gathered in New Orleans this past March for a highly productive Board of Directors Meeting!

SSO Presidents’ Report

The SSO Board of Directors and Executive Committee met on March 7-8, 2025 in New Orleans, Louisiana

This location was chosen for its symbolism. The western part of Louisiana is SWSO territory, and the eastern part is SAO territory.

This “Ad-Interim” Spring board meeting was the first of its kind for the joint SSO since the operations of the SAO/SWSO were combined on June 3, 2024. It seemed only fitting that we hold the meeting in Louisiana.

Also attending the meeting as guests of the Board of Directors were the AAO Delegates from each component state. The Delegates met separately Saturday afternoon to prepare for the AAO Annual Session and the House of Delegates session. Your Delegates and leadership stand firm in our commitment to maintain our joint SAO/SWSO representation at the AAO until a suitable arrangement is devised and an alternative governance structure for the AAO is formulated and approved by all parties.

Some of the stated goals for our presidency are to solidify bylaws, adjust policies and procedures, and to appoint and charge committees to do the work of our strategic plan. Much of the discussion and planning during the AdInterim board meeting revolved around these topics. When two groups of our size combine, adjustments will need to be made to these aspects of a nonprofit organization.

Part of our Ad-Interim session was devoted to our future. With a “new” organization, we have the flexibility to establish expectations for what an orthodontic organization can and should provide for its members. We explored opportunities to expand and improve our services in the areas of communication, leadership, resident and residency program support, and membership. Great information was gathered from this think tank, and we expect new programs and offerings to emerge in the coming years.

A major goal of the new SSO is for us to become stronger together in UNITY. For example, after the devastating hurricanes last fall, we asked you, our members, to help support the AAOF Disaster Relief Fund. Because of your efforts, we are proud to announce that the SSO was able to raise over $50,000 to help our members in the event that a natural disaster impacts our practices. This is just one example of how our 3,300 active members can make a profound impact.

It is now time for another fund-raising effort. Many of you may have heard about the new AAO/AAOF joint initiative, the “For the Future” campaign. This fund will provide grants for the recruitment of junior faculty. The goal is for AAOF to raise $1.8 million over 3 years. This 1.8 million will be matched dollar for dollar by AAO to have a total of $3.6 million. This 3.6 million

will perpetually fund three 2-year $60,000 grants for junior faculty. Several SSO Leaders, including both of us, your Co-Presidents, have made pledges to this campaign. Our specialty is only as strong as our residency training programs. Initiatives such as “For the Future” will help ensure that we attract talented junior faculty who often take a significant reduction in salary to become full-time faculty. If you are interested in making a tax-deductible donation to this cause, please visit the AAOF website at aaofoundation.net.

We have worked hard to expand our leadership to orthodontists who represent the broad demographics of our society. Our leadership class has been a great source for new leaders. From these classes we have been able to fill positions on committees at both the constituent and national level. However, we still seem to have issues with finding leaders at our state component level. State organizations are the grassroots level of organized orthodontics. They are the “boots on the ground”. State organizations have a “finger on the pulse” of legislative initiatives, Medicaid reimbursement, and other issues that may be going on in each respective state. As we identify upcoming leaders in our organization, let us all encourage them to become involved in their local and state orthodontic and dental organizations, as well as the SSO.

As a reminder, mark your calendar for the November 6-8, 2025 SSO Annual Meeting at the River Walk in San Antonio, Texas. CAMP, our meeting planning committee, has arranged an unbelievable program full of speakers, entertainment, and social activities.

Come join us as we honor Buzz Behrents (Orthodontic Legend), Tim Trulove (Oren Oliver Distinguished Service), Claude Stephens (Martin Dewey Memorial) and many others for their service and dedication to the SAO/SWSO. The highlight of the weekend will be a Friday night party at SeaWorld. We have secured exclusive admission for the SSO, with food, drinks, rides, shows and of course Shamu! So, bring your staff and families for a meeting you won’t want to miss! We look forward to seeing everyone there!

Eric Nease, DDS MDS

Matthew Ng, DMD MSD

San Antonio: Unexpected & Forever Surprising Registration is Open for SSO2025!

The 2025 Annual Session of the Southern Society of Orthodontists takes place November 6-8, 2025, at the Grand Hyatt on San Antonio’s famous River Walk. Make plans now to block your calendar and join us in Texas for education, networking and fun!

There are few places in America that are one-ofa-kind, and San Antonio is one of the best! The architecture of the sunken riverwalk that winds around town gives the city an almost European feel, while the streets above are distinctly American. Rich in Texas history and bursting with culture, this interesting city is warm and relaxed by day and buzzing with fun as the sun goes down. It’s a fantastic destination to make memories with your team, so bring them along!

Our annual sessions are planned by a committee of members who identify top speakers and fill our exhibit hall with a wide range of products and services to help you build a successful practice. This year our speaker line-up features “The Braces Guy,” Dr. Grant Collins, clinical pro Dr. David Sarver, and our keynote speaker, Mr. Chris Westfall, who will speak on Collaboration and Connection: New Principles for Engagement and Growth.”

We also have lots of fun planned, including a Dia de Los Muertos party in the Exhibit Hall, our annual golf tournament, a scavenger hunt to explore the city, and our big event – a private party at SeaWorld!

Never Been to a Meeting? Be Part of the Memories and Traditions

Taking time to step away from your practice to get together with colleagues keeps you in touch with the SSO’s vibrant community of doctors – from the new and young, to the more experienced, and every stage of practice life in between. Learning from top speakers and checking out what’s new with exhibitors keeps your knowledge sharp. During networking socials and activities, you have the chance to build the friendships and memories that keep members returning to the SSO Annual Session year after year.

Find all the details about this year’s meeting at SSOrtho.org. A detailed brochure will be mailed soon, and we will continue to share details by email.

See you in San Antonio this fall!

AAO FOUNDATION

AAO FOUNDATION DISTINGUISHED SERVICE AWARDS

GIFTED SMILES

Gifted Smiles, the Foundation’s newly re-branded Donated Orthodontic Services, re-launched in May 2024. Expanding across the geography of our membership base in North America, the Foundation has coordinated orthodontic care for 50 children. We continue to expect this program to grow its impact and are looking for important ways to collaborate with local communities.

PLANNING AND AWARDS REVIEW COMMITTEE (PARC)

The Foundation’s Planning and Awards Review Committee (PARC) met on January 16, 2025 to review 50 applications for research funding. The committee recommends funding to the Foundation Board at the end of February.

The AAO Foundation manages and raises essential funds to assist Orthodontists whose practice has been impacted by a natural disaster. Hurricanes Helene and Milton in Florida, Georgia, and the Carolinas, and the wildfires in California in January caused damage to the practices of our fellow AAO members. The Foundation expects to receive more requests in the upcoming months. Volunteer or Donate Here

FOUNDATION CONTINUES TO RECEIVE APPLICATIONS FOR DISASTER RELIEF

The Louise A. Jarabak Award for Faculty and Research: Dr. Nan Hatch
The Jacob and Leah Salzmann Lecture and Award: Dr. Sylvia Frazier-Bowers
The Eugene and Pauline Blair Distinguished Service Award: Dr. Orhan Tuncay
Dr. John Carter | Dr. Neal Kravitz
The AAO Foundation awarded the following at the Annual Session in Philadelphia in April:

Trustees’ Report

This report was written by Dr. Enrique Cruz, Trustee at Large, in consultation with Dr. Steve Robirds, SWSO Trustee, and Dr. Richard A. Williams, SAO Trustee.

A Year of Growth, Advocacy, and Innovation for the AAO

This past year has been one of the most dynamic and impactful in the history of the American Association of Orthodontists (AAO). From record-breaking advocacy efforts and consumer engagement to expanded international collaboration and meaningful wellness initiatives, our association continues to lead with purpose and passion.

As a proud member of the Southern Society of Orthodontists (SSO), I have witnessed firsthand the incredible value the AAO delivers to its members and the broader orthodontic community. In 2024, we proudly celebrated the 30th anniversary of the AAO Political Action Committee (AAOPAC), a historic milestone in our advocacy efforts. This recordbreaking year underscored our growing influence in shaping public policy and protecting the interests of our specialty. With advocacy initiatives now active in more than 10 U.S. states and in Ontario, Canada, and with the continued expansion of the National Advocacy Network (NAN), more members, many from our SSO family, work to ensure our collective voice remains strong.

The Consumer Awareness Program (CAP) had a phenomenal year. As the only national advertising campaign solely dedicated to promoting orthodontic treatment by an orthodontist, CAP delivered outstanding results. With 451 million impressions, 11 million ad clicks, 9.6 million visitors to aaoinfo.org, and 3.3 million locator page views, the campaign reached more people than ever. These numbers reflect not only public interest but also an increase in trust in our specialty, something we see echoed in our practices every day.

On the technology front, the AAO has embraced innovation with purpose. This year saw the completion of a comprehensive technology landscape discovery and the establishment of an AI Policy and Governance framework, ensuring the responsible integration of emerging tools. In January, we launched a Data Warehouse pilot program designed to help the AAO leverage data in smarter, more strategic ways to better serve our members.

Our international presence also grew stronger this year. In the fall, the AAO proudly represented our speciality at ALADO (Latin American Association of Orthodontists) in El Salvador. That experience led to a special invitation from Dr. Gabriel Oscar Amador Peña, president of the Mexican Association of Orthodontists (AMO), to participate in their annual meeting in Mérida. There, we engaged with more than 1,500 orthodontists, shared the AAO’s mission, and welcomed new international members into our community. It was a milestone moment in our global outreach and a meaningful step forward in our commitment to supporting orthodontists worldwide.

Finally, an initiative that has great impact has been the expansion of the AAO’s Mental Wellness Resources. The AAO understands the emotional demands of our profession and now offers a growing library of tools and support, including Mental Wellness 101, screening resources, therapist directories, and self-help materials. As an SSO member, I’m especially proud to see our association prioritizing the well-being of the whole person—not just the professional.

As we reflect on the past year and look ahead to the future, I remain deeply grateful for the opportunity to serve within this extraordinary organization. The AAO’s commitment to advocacy, innovation, member wellness, and global engagement ensures that we continue to move forward together—stronger than ever.

Members of the SSO attended the AAO Leadership Development Conference that was held in conjunction with the AAO Mid-Winter conference in Marco Island in January. This was a great opportunity for our leaders to learn and network with colleagues.

AAO Political Action Committee Report

It has been a great year for Advocacy and the AAOPAC.

We had record donations last fiscal year as we celebrated the 30th anniversary of the AAOPAC with almost $480,000 raised. Our goal this year is to match last year’s goal of $460,000. We are already at $334,753, which is 72% of that goal, and a 3.3% increase from the same period last year. A long-time goal has been to increase the number of yearly contributors. That metric is also up this year, with a 5.9% increase from last year - 48% toward the goal of 1303 contributors. And for the first year ever, contributions came from orthodontists in all 50 states, Puerto Rico, and Washington DC!

This fiscal year the SSO continues to lead the PAC with $87,500 from the SAO and $35,416 from the SWSO. Our goal for contributions is $141,100 for the SAO and $52,200 for SWSO. We are at 62% for SAO and 68% for SWSO towards reaching these dollar numbers. However, so far, we are behind in meeting the individual contributor goals

Can you help us achieve these goals with a small donation? When we have a united front of AAO members, we can show Congressional members that they are helping a larger population of their constituents than with a small vocal group.

On the advocacy side, we just finished our March 11-12 Advocacy Conference. It was great to have AAO members from the SSO congregate in Washington DC to meet with their respective representative and present the issues that concern our members. AAO blanketed Capitol Hill with messages about student loan debt relief and requiring dental professional oversight for DTC medical devices. The AAO Advocacy team has been working tirelessly in many constituent states to get laws passed with the language of the AAO model for teledentistry – to require an in-person exam and radiographs prior to any directed dental treatment.

The results of the past survey for Advocacy priorities show that the majority of AAO members find protection from burdensome regulations as the number one priority, with mail-order orthodontic patient health and safety second. A new priority appeared that concerns challenges associated with private equity-based consolidation of healthcare practices. Other long-time concerns are workforce shortages, student loan debt, and challenges related to artificial intelligence issues.

If you are interested in joining our National Advocacy Network and helping in any capacity on the local or national level, please contact Dr. Ed Davis via email at ybender@bellsouth.net or Dr. Jeff Genecov at jgenecov@icloud.com Also, please consider coming to the Advocacy Conference next year and celebrate St. Patty’s Day in DC.

Finally, we are also pleased to recognize Dr. Ed Davis who will be the AAOPAC chairman for the next two years. We thank him for his past service as SAO representative to the board and are grateful that he will continue to serve as AAOPAC chairman.

This report was co-authored by Dr. Ed C. Davis, SAO and Dr. Jeff Genecov, SWSO

Photos from the AAOPAC 2025 Professional Advocacy Conference

The American Board of Orthodontics Constituency Report | January 2025

Dr. Timothy Tremont | Dr. Onur Kadioglu

The ABO is committed to upholding our mission to elevate the quality of orthodontic care for the public by promoting excellence through certification, education and professional collaboration.

ABO Certification

Currently, 63% of AAO orthodontists are board-certified. To reach this accomplishment is significant. It allows us to collectively impact our specialty.

Once an orthodontist completes the ABO Written Examination and graduates from a CODA accredited advanced specialty educational program in orthodontics and dentofacial orthopedics in the United States or Canada, the orthodontic professional may register for the ABO Scenario-based Clinical Examination. Once both examinations

Newly Board Certified

Dr. Elie Abboud

Dr. Mohamad Ezzat Abou El Nasr

Dr. Ahmad Aboudan

Dr. Dina Al Nimri

Dr. Marwan Alareqi

Dr. Noor Alshaikh

Dr. Loiy Alshami

Dr. Sarah Asif

Dr. Ariel Banks

Dr. Jason Battle

Dr. Christopher Bocklet

Dr. Christine Bode

Dr. Inna Burnett

Dr. Albert Burrow

Dr. John Christensen

Dr. Sally Claassen

Dr. Kelton Cronquist

Dr. Hunter Davis

Dr. Shawna DeGrange Swinney

Dr. Taro Digney

Dr. Nhu Dinh

Dr. Tam Duong

Dr. Jacob Ellender

Dr. Thomas Epps

Dr. Nada Fallata

Dr. Candice Fleming

Dr. Kimberly Freeman

Dr. Joy Gerasco

Dr. Peyton Harris

Dr. Andrew Hawks

Dr. Thomas Hoopes II

Dr. Jillian Huffman

Dr. Basil Jan

Dr. Anahita Javadpour

Dr. Randall Jenkins

Dr. Sybil Jones

Dr. Kirandeep Kaur

Dr. Nakysa Kheirandish

Dr. Jamie Kim

Dr. Carolynn Landman

Dr. Nathaly Lemoine

Dr. Joshua Lokant

Dr. Brenda Loo

Dr. Benjamin Lowe III

Dr. Ashima Madan

Dr. Mohit Malhotra

Dr. Vivek Manda

Dr. Jacqueline Massouda

Dr. Emory McAllister

Dr. Mona Meky

Dr. Megan Meyer

Dr. Daniel Miler IV

Dr. Mohamed Mohamed

Dr. Abdullah Mohammed

Dr. Timothy Moses

Dr. Mohammad Mousavi

Dr. Hind Naami

Dr. Robert Nelson

Dr. Katherine O’Friel

Dr. Bryan Otis

Dr. Jay Patel

Dr. Eric Rabinowitz

Dr. Matthew Radwanski

Dr. Mary Remley

Dr. Gabrielle Roberts

are successfully passed and board certification is achieved, a time-limited certificate is awarded with a Certification Renewal Examination required every 10 years to remain board certified. Below is a list of all recently Certified and Recertified orthodontists from the SSO. Congratulations to all of them for their commitment to excellence.

Dr. George Rubin

Dr. Kelly Schweers

Dr. Naurine Shah

Dr. Randa Shakashiro

Dr. Zainab Sharif

Dr. Eric Shrestha

Dr. Megan Tallman

Dr. Schuyler Tang

Dr. Blake Tollison

Dr. Lindsay Towler

Dr. Tiffany Tran

Dr. Andrew Tritle

Dr. Anastasia Tsolaki

Dr. Hsuan Tsuei

Dr. Rochelle Watson

Recertified

Dr. Christine K. Abenoja

Dr. Ulises A. Guzman

Dr. Narmin M. Helal

Dr. Nathan W. Johnson

Dr. Pardeep Kaur

Dr. Jim M. Lee

Dr. Glenn Gibson McCall III

Dr. Jeffrey W. Mirrielees

Dr. Timothy M. Poyadou Jr.

Dr. Benjamin J. Richards

Dr. Dana Tang

Dr. Anthony C. Travagliato

Dr. Paul G. Trotter

Dr. Chad L. Westfall

Dr. Joshua J. Wilson

Dr. Laura L. Bonner

Dr. Matthew D. Brown

Dr. Celeste G. Oliver

Dr. Matthew L. Rushing

Dr. Elizabeth B. Swearingen

Dr. Beatrice Williams

Dr. Osama Younis

Dr. Sierra Zarate

Dr. Emily Abay

Dr. Hind Aldawood

Dr. Ryan Allo

Dr. Turki AlThenyan

Dr. Maria Eduarda Assad Duarte

Dr. William Fletcher

Dr. Anne-Isabelle Foucher

Dr. Gabriella Gallo

Dr. Rochelle Hajikhani

Dr. Madison Hauritz

Dr. Michael Havel

Dr. Kiran Heda

Dr. Marwa Kharboutli

Dr. Dooyeol Kim

Dr. Ruidan Ma

Dr. Chinyere Mbadiwe

Dr. Dakota Miller

Dr. Kristi Morris

Dr. Bonolo Odirile

Dr. Chidinma Okafor

Dr. Marilena Parodi Lainez

Dr. Angela Pelehac

Dr. Abby Rousseau

Dr. Michael Stark

Dr. Shelby Steffenhagen

Dr. Thuy Nhu Truong

Dr. Nicholas Ward

Written Examination

The 2025 Written Examination will include 10-25% multi-select questions. These questions are like multiple-choice questions but will require examinees to select more than one correct answer. Instructions will specify the number of correct answers expected. Scoring will be dichotomous, with no partial credit given.

To assist in preparation for the examination, a 2025 Written Exam Reading List along with practice questions are located on the ABO website – https://www.americanboardortho. com/orthodontists/become-certified/writtenexam/2025- written-exam-reading-list/. If you have questions to submit for consideration for a future Written Exam (including multiple choice with a reference), please contact Info@AmericanBoardOrtho.com

Scenario-based Clinical Examination

The ABO Fall 2024 Clinical Examination was held on September 17 at Pearson-Vue Testing Centers Worldwide with 368 examinees. The pass rate was 88.6%. Beginning in 2025, the ABO will transition to offering one Scenariobased Clinical Examination in the Fall. The scheduled date for the 2025 examination is September 17. Online registration opened on September 18, 2024.

An orthodontist must first complete the ABO Written Examination before taking the Scenario- based Clinical Examination. Preparation materials – https://www. americanboardortho.com/orthodontists/ become-certified/clinical-exam/scenariobased-clinical-examination/scenario-basedexam-preparation/ for the examination, including study guides and sample cases, along with how to register – https://www. americanboardortho.com/orthodontists/ become-certified/exam-dates-fees-andregistration/, are located on the ABO website. The Directors of the American Board of Orthodontics have published two articles in the AJODO: The October 2024 article was titled, “The American Board of Orthodontics: a brief history and update of the orthodontic certification process”. The January 2025 article was titled, “The American Board of Orthodontics: scenario-based clinical examination development and preparation”. This article highlights the scenario-based exam development and administration in detail. A similar article outlining the written exam is submitted for publication.

Events Highlights

• The ABO participated in the 2024 GORP meeting held in Ann Arbor, MI and enjoyed meeting the residents in attendance. Dr. Jae Park, ABO President, gave a formal presentation to the group, and Nicole Huson, ABO Certification Coordinator, and Kim Koch, Exam Coordinator, managed the booth.

• Dr. Hernandez-Orsini, ABO President-Elect, Carole Newport, ABO CEO, Michelle Valenti, ABO CFO, and Nicole Huson, ABO Certification Coordinator, attended the Dental Specialties Meeting in Chicago, IL. The agenda included guest speakers from the National Commission on Recognition of Dental Specialties and Certifying Boards (NCRDSCB) as well as Data Recognition Corporation (DRC) and The American Board of Medical Specialties (ABMS).

• ABO Directors attended their individual 2024 Annual Constituency Meetings. Directors took the opportunity to speak about board certification when possible.

• In January 2025, Drs. Hernadez-Orsini, Rossouw, Puntillo, and Carole Newport attended the ASAE Exceptional Boards meeting in Florida.

• The ABO hosted the 2025 Educators Symposium, “Challenges in Orthodontic

• Education,” honoring Dr. Jeryl English on February 22, 2025, at the Le Meridien in St. Louis, MO.

2025 Award Recipients

Dr. David Sarver -

Albert H. Ketcham Memorial Award

Dr. Scott Jamieson and Dr. Larry TadlockDale B. Wade Award of Excellence in Orthodontics

Mrs. Melissa Brydel -

Earl E. and Wilma S. Shepard

Distinguished Service Award

Dr. Jim Henderson -

O.B. Vaughan Special Recognition Award

Award Nominations

The ABO annually seeks nominations for the Ketcham and Wade Awards from the constituent societies. If you want to nominate an outstanding colleague, please contact your constituency.

Ambassador Pathway Program Update

The ABO Pathway Program was launched in June 2024 and is off to a successful start with a total of 16 trained Ambassadors (all constituencies represented) for 2024-2026. All Ambassadors were provided with in-person training and resources, including a presentation PowerPoint,

ambassador guide, participant guide, and resource guide.

Two presentations are available: The Pathway to Board Certification: Overview and The Pathway to Board Certification: Clinical Examination. Program directors and chairs can request these presentations, and we also offer virtual sessions for all registered examinees before each administration.

Additionally, two LinkedIn groups have been set up, one for residents (currently with 136 members) and another for educators (31 members).

2024-2025 ABO Directors

Dr. Jae Hyun Park - President, representing the Pacific Coast Society of Orthodontists

Dr. Roberto Hernandez-Orsini - President-Elect, representing the Middle Atlantic Society of Orthodontists

Dr. P. Emile Rossouw - Secretary-Treasurer, representing the Northeastern Society of Orthodontists

Dr. Anthony Puntillo - Director, representing the Great Lakes Association of Orthodontists

Dr. Daniel J. Rejman - Director, representing the Rocky Mountain Society of Orthodontists

Dr. Meenakshi Vishwanath - Director, representing the Midwestern Society of Orthodontists

Dr. Onur Kadioglu - Director, representing the Southwestern Society of Orthodontists

Dr. Timothy Tremont - Director, representing the Southern Association of Orthodontists

Dr. Timothy Trulove - Immediate Past President, representing the Southern Association of Orthodontists

Consider Serving as an ABO Director

If you are a board-certified orthodontist and would like to consider serving as an American Board of Orthodontics director to help further the ABO’s Mission of promoting excellence in orthodontics, we encourage you to review details regarding the qualifications and nomination process, https://americanboardortho. com/media/mnfjzzsk/abo-rules-of-operationdirector-selection-process-2024-rev-9-19-23.pdf

Stay Connected

Follow the ABO on social media for updates.

Respectfully submitted by Dr. Onur Kadioglu and Dr. Timothy Tremont

Committee Update & 2025 Leadership Directory

As the Southern Society of Orthodontists, we’ve worked hard to create new opportunities for members to get involved. We would like to take a moment to recognize the outstanding dedication of our committee volunteers.

Budget & Finance Committee

Terms are specified in bylaws

Chair (Secretary/Treasurer): Dr. Donald Balhoff

Member (Presidents-Elect):

Drs. Christine Ellis & Preston Miller

Member (Senior Director): Dr. Kyle Shannon

Member (Junior Director): Dr. Jeremy Albert

Member (Component Director): Dr. Thomas Baldwin

Member (Component Director): Dr. Ryan Theobald

Staff Liaison: Kelsey Bulnes

Membership Committee

Chair (Senior Director): Dr. Kyle Shannon

Member (Junior Director): Dr. Jeremy Albert

Member (Component Director): Dr. George Sabol

Member (Component Director): Dr. Andrea Font Rytzner

Staff Liaison: Kelsey Bulnes

Nominating Committee

Co-Chairs (Presidents-Elect):

Drs. Christine Ellis and Preston Miller

Member: Dr. Amanda Gross

Member: Dr. Diana-Beatrix Velicu

Member: Dr. Suzzane Horani

Past Presidents: Drs. Beth Faber and Onur Kadioglu

Staff Liaison: Lissette Zuknick

Bylaws Committee

Chair: Dr. Jeff Rickabaugh

Member: Dr. Jim Wortham

Member: Dr. Don Wilcoxon

Member: Shruthi Lakshmana

Staff Liaison: Lissette Zuknick

These individuals generously offer their time, energy, and expertise to help shape and strengthen our organization. We encourage all members to explore how they can contribute in the future. Visit the “Get Involved” page at SSOrtho.org and complete the interest form.

Together, we can build an even stronger SSO!

Scientific Affairs Committee

Chair: Dr. Peter Ngan

Member: Dr. Christine Abenojo

Member: Dr. John Neubert

Member: Dr. Reginald Taylor

Member: Dr. Helder Jacob

Member: Dr. Eser Tufekci

Member: Dr. Frans Currier

Member: Dr. Jeryl English

Staff Liaison: Jaclyn Whiddon

Committee on Annual Meeting Planning (CAMP)

Chair: Dr. Theresa Coleman

Member: Dr. Jim Martin

Member:Dr. John Metz

Member: Dr. Sundaralingam Premaraj

Member: Dr. Kyla Swearingen

Member: Dr. Donald Wilcoxon

Staff Liaison: Jaclyn Whiddon

Awards Committee

Chair: Dr. Gayle Glenn

Member: Dr. Don Wilcoxon

Member: Dr. Debbie Sema

Member: Dr. Ney Paredes Sampen

Member: Dr. Alessandra Chacon

Staff Liaison: Lissette Zuknick

Communication & Technology Committee

Chair: Dr. Jim Vaden

CAMP Liaison: Dr. Theresa Coleman

Member: Dr. Manika Patwari

Member: Dr. Yao Chen

Member: Dr. Kalynn Naglieri

Member: Dr. Brittany Stroope

Member: Dr. Grace Huang

Staff Liaison: Jaclyn Whiddon

Investment Committee

Chair: Dr. Mark Dusek

Member: Dr. Jeri Stull

Member: Dr. Suzanne Horani

Member: Dr. Alessandra Chacon

Staff Liaison: Kelsey Bulnes

Advocacy & PAC Committee

Chair: Dr. Clark Colville

Member: Dr. Chris Baker

Member: Dr. Ed Davis

Member: Dr. Dan Joseph

Member: Dr. Neal Singh (FL)

Member: Dr. Logan Cash (LA)

Staff Liaison: Lissette Zuknick

Executive Director Evaluation Committee

Chair: Drs. Beth Faber & Onur Kadioglu

Member: Dr. Steve Robirds

Member: Dr. Preston Miller

Leadership Development Program Committee

Chair: Dr. Angie McNeight

Member: Dr. Christian Johnson

Member: Dr. Ralph Brock

Member: Dr. Bryn Cooper

Staff Liaison: Lissette Zuknick

Component Relations Committee

Member: Dr. Donald Norton

Member: Dr. Matt Davis

Member: Dr. Jason Vassar

Staff Liaison: Jaclyn Whiddon

2025 SSO Award Winners

Make plans to join us in San Antonio during the Opening Ceremony on Thursday, November 6, 2025, as we recognize and honor the following individuals:

Sharon Hunt Emerging Leader Award

Dr. Christian Johnson Smyrna, GA

SAO Orthodontic Legend Award

Dr. Rolf Buzz Behrents

Overland Park, KS

Oren Oliver Distinguished Service Award

Dr. Tim Trulove Montgomery, AL

J. Mark Felton Leadership Award

Dr. Enrique Cruz Austin, TX

Martin Dewey Memorial Award

Dr. Claude (Rick) Stephens

Duncanville, TX

Congratulations to our 2025 Award Winners

Updates from our State Associations

Alabama, Florida, Georgia, Louisiana, Mississippi, North Carolina, Oklahoma, South Carolina, Tennessee and Virginia have all hosted their annual meetings. State meetings are a great opportunity to network with fellow orthodontists, discuss topics facing local orthodontists and enjoy continuing education.

Make plans to attend your annual state meeting:

Arkansas October 2025

Kansas November 14, 2025

Kentucky August 22, 2025

West Virginia July 19, 2025

Alabama Association of Orthodontists Annual Meeting
North Carolina Association of Orthodontists Annual Meeting
Virginia Association of Orthodontists Annual Meeting
Florida Association of Orthodontists Annual Meeting
Mississippi Association of Orthodontists Annual Meeting
Oklahoma Society of Orthodontists Annual Meeting
Tennessee Association of Orthodontists Annual Meeting

Photos of Fun from Around the States

Elevate your membership by engaging with your state orthodontic association.

Parliamentary Pearls

Podium, Lectern, Dais: What’s the Difference?

It is not uncommon to hear the words podium, lectern and dais used interchangeably. These are specific objects originally with distinct purposes.

A podium is a raised platform on which a speaker or performer stands. The key is that a podium is something to stand on, not something to stand behind. The simplest podium could be a soapbox, to coin a phrase. Podium comes from the Latin podium, with the same definition.

A lectern is a stand with a slanted top designed to hold notes or books for the speaker. Lecterns were traditionally wood, but nowadays are made of metal, plastic or glass. A lectern does NOT elevate a speaker, it is simply something a presiding officer or speaker stands behind and on which the speaker places materials.

The word lectern comes from the Latin lectrum, derived from legere meaning “to read”. This reflects the traditional use of lecterns in churches, classrooms and lecture halls where speakers place books and notes.

Less often used are the terms dais and rostrum

Historically a dais (da-es or di-es) and rostrum were raised platforms at the front of the room used for honored guests, officials or speakers. Unlike a podium, which traditionally was for a single speaker, a dais or rostrum could accommodate multiple people such as a panel or head table. Nowadays, the term “podium” is used for most any raised stage.

However, at the American Dental Association House of Delegates, the raised section at the front of the hall is referred to as the dais. This dais accommodates the Speaker, ADA President, ADA President-Elect, Executive Director, Treasurer and so on.

The word dais comes from the Old French deis, which originated from the Latin discus, meaning table or platform. This emphasizes its role as a space for distinguished figures.

The word rostrum comes from Latin and originally meant “beak”. Roman warships had sharp, beak-like fronts to ram enemy ships. After battles, the Romans took these beaks (rostra) and used them as a stage where leaders gave speeches. Over time, “rostrum” came to mean the speaking platform.

These differences in terminology may seem minor, but for those of us who thrive in these parliamentary meetings, conventions and formal ceremonies, using the correct terminology enhances our professionalism and precision.

Dr. Jeff L. Rickabaugh

Parliamentary Procedure in Action

From its roots in ancient history as described in Dr. Rickabaugh’s column, to our association meetings in modern times, the formality of parliamentary procedure helps our leaders and members conduct themselves at official meetings in a professional manner that is steeped in tradition.

To see this in action, make plans to attend the SSO Annual Business Meeting, which takes place at the Annual Session. Wondering the difference between the meeting and the session? Though you may see the terms used interchangeably, there is a difference! The SSO defines the Annual Session as a several-day event with educational lectures, networking events and an exhibit hall. The SSO Annual Business Meeting takes place during the Annual Session. It is open to all members and is required under our organization’s governing documents. The Annual Business Meeting serves multiple purposes which may include board elections, evaluating mission progress, and strategic planning for the coming year.

Reference: Parliamentary Law Newsletter

Jim Slaughter, JD, Parliamentarian Greensboro, NC

This year the SSO Annual Session takes place November 6-8, 2025 in San Antonio, TX. The Annual Business Meeting takes place at 11 am on Friday, November 7 during the Annual Session. You can find dates for your state, or component, Annual Business Meeting on the SSO website.

The Rostra (speaker’s platform) in the Roman Forum, the scene of Cicero’s orations and many other great speeches in Roman history.

SSO Presidents Dr. Eric Nease and Dr. Matthew Ng at the podium during the SSO 2024 Annual Session in Orlando.

How Would YOU Treat This Patient?

A healthy 10 year-old girl was seen by two orthodontists for clinical evaluation. Her parents were told by the girl’s pediatric dentist that their daughter had significant dental crowding. One of the orthodontists hinted that it may be necessary to extract permanent teeth as part of orthodontic correction. The girl’s father remembered that he also initially presented with dental crowding, was treated orthodontically as an adolescent, and did not have permanent teeth removed.

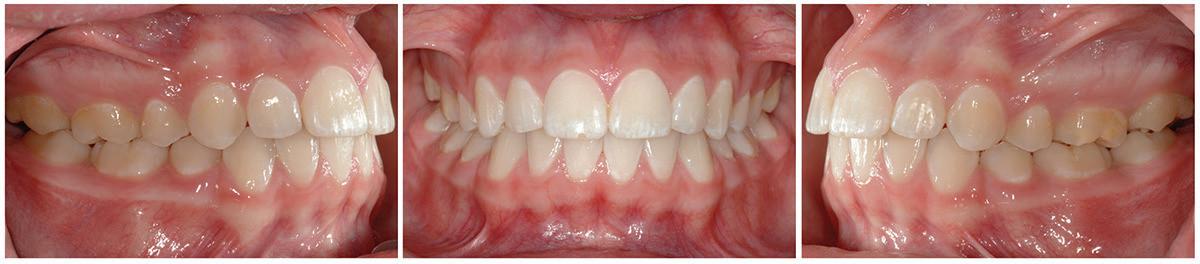
The INITIAL intraoral photographs (Figure 2) highlight the arch length insufficiency in both the maxilla and mandible. The molar relationship is solidly Class I bilaterally. The maxillary lateral incisors are lingually displaced, resulting in an anterior crossbite relationship. Overjet between the central incisors is ideal; overbite is slightly shallow.

The patient presented with only three remaining primary teeth: A, K, and T. The permanent maxillary canines were unerupted, obviously short space, but could be palpated labially. Space shortage in the mandibular arch appeared to be less than that in the maxilla. The mandibular premolars were not erupted. All permanent second molars were also unerupted. The patient’s oral hygiene was excellent, as was her overall dental health. She had never had a cavity or required a restoration.

The parents of this 10 year-old girl permitted one of the orthodontists to obtain INITIAL records for comprehensive treatment planning and consultation. The INITIAL facial photographs (Figure 1) suggest mild lip incompetence and mildly increased lower anterior facial height. Upon smiling, the maxillary dental midline appears to be on with the face. Therefore, the mandibular dental midline is 1mm to the patient’s left. The smile is not gummy, despite the hint of a long face. Arguably, the smiling photograph may not be completely natural.

The panoramic radiograph (Figure 3) reveals the mixed dentition status described and incomplete root development of the canines, premolars, and second molars. The maxillary canine space shortage is the most dramatic. The cephalometric radiograph (Figure 4) confirms a skeletal Class I relationship and a mild increase in skeletal vertical dimension. The mandibular border morphology also reflects backward rotation. Incisor position is normal.

How would YOU treat this patient?

Treatment Planning Considerations

There was no dispute regarding the orthodontic diagnosis in this young girl. There was a difference of opinion regarding the treatment solution, and the rationale for that treatment. The parents were not keen to remove “good teeth”, because the father was treated without extractions. The diagnostic records were obtained by Orthodontist 2 but made available to Orthodontist 1 for an independent and fair second opinion.

Figure 1
Figure 2
Figure 3
Figure 4

Recommendation of Orthodontist 1:

Orthodontist 1 characterized both arches as “very narrow”. Expansion appliances of some form were proposed. He also suggested that the maxillary molars could be derotated to gain space. Finally, it was reported that Phase I treatment should be initiated soon to take advantage of first molar distalization prior to eruption of the second molars. The rationale articulated for this treatment plan was the desire to “avoid airway issues”.

Recommendation of Orthodontist 2:

The greatest emphasis was placed on predictable and efficient alignment of teeth, obtaining a nice facial esthetic result, and stability. The parents did not report any current airway issues, although the adenoids appeared large on the two-dimensional cephalometric radiograph. Arch width is expected to be narrower than average in a vertical grower but I did not consider the arches to be extremely narrow, nor did I observe significant transverse compensation of the posterior teeth. Strategic and timely extraction of both primary molars and permanent first premolars was proposed, along with maxillary space maintenance. The goal of Phase I treatment overall was eruption guidance of the canines and second premolars. The maxillary appliance was placed to prevent mesial migration of the molars long enough for the highly positioned canines to erupt.

The Treatment Plan Accepted

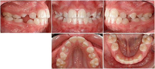
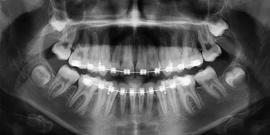
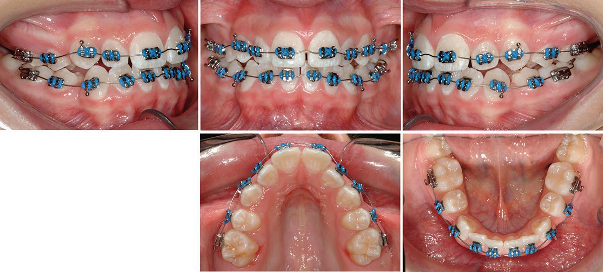
The parents accepted the extraction option. Cephalometric and panoramic radiographs (Figure 5) were obtained following two years of eruption guidance. Intraoral photographs (Figure 6) were taken one week later, at the time of direct bonding of brackets at age 12. A PROGRESS panoramic radiograph (Figure 7) was obtained one year into treatment. It confirmed my satisfaction with bracket placement and root angulation, particularly the mandibular canines. Braces were removed five months later at age 13½. Total treatment time was less than 17 months. Retainers were provided and the patient was scheduled to return for FINAL records one month later. However, the patient missed that appointment and was not seen again for another 1½ years. FINAL facial photographs (Figure 8) were ultimately collected at age 15. They show pleasing facial esthetics and a reduction in lip strain. The face does not appear to be as long. Profile evaluation reveals a well-balanced Class I appearance. FINAL intraoral photographs (Figure 9) show well aligned teeth with complete space closure, Class I occlusion bilaterally, and excellent stability 1½ years following the completion of active treatment.

Figure 5
Figure 6
Figure 7

Addendum:

It turned out that it was easy to motivate the parents of this patient to choose the extraction option. Diagnostic records were obtained on this patient’s father (Figure 10). He did indeed have braces as an adolescent and was treated with a non-extraction approach. Years later, he has significant crowding, protrusion, and an openbite. Perhaps he breathes well with the openbite. He may or may not, because the causes of breathing impairment and sleep disordered breathing are multifactorial. Evidence-based studies have not shown strong correlations between dentofacial characteristics and various measures of breathing. There are plenty of anecdotal examples and opinions suggesting otherwise. All factors should be considered when deciding on the most appropriate treatment plan. In my judgement, esthetics, stability, predictability, and time efficiency of extraction therapy trumped the possibility of a causing a future airway issue.

Figure 8
Figure 9
Figure 10

Turn static files into dynamic content formats.

Create a flipbook
Issuu converts static files into: digital portfolios, online yearbooks, online catalogs, digital photo albums and more. Sign up and create your flipbook.
SSO Spring 2025 Newsletter by Southern Society of Orthodontists - Issuu