SSO NEWS Fall Winter 2024

Page 1


SSO LEADERSHIP

Presidents

Dr. Eric Nease, Spartanburg, SC

Dr. Matthew Ng, The Woodlands, TX

Presidents - Elect

Dr. Christine Ellis, Dallas, TX

Dr. Preston Miller, Jackson, TN

Secretary - Treasurer

Dr. Donald Balhoff, Lafayette, LA

Senior Director

Dr. Kyle Shannon, Tulsa, OK

Junior Director

Dr. Jeremy Albert, Trinity, FL

AAO Trustees

Dr. Enrique Cruz, SWSO, Austin, TX

Dr. Steve Robirds, SWSO, Austin, TX

Dr. Richard Williams, SAO, Southaven, MS

Directors, The American Board of Orthodontics

Dr. Onur Kadioglu, SWSO, Oklahoma City, OK

Dr. Timothy Tremont, SAO, Charleston, SC

Directors, The American Association of Orthodontists Foundation

Dr. John Carter, Leawood, KS

Dr. Neal Kravitz, Chantilly, VA

Editor

Dr. Jim Vaden, Cookeville, TN

ON THE COVER: SSO members had a blast at our annual meeting Block Party. At one of three party venues, members took the stage throughout the night to sing karaoke with a live band and back up singers. In our cover photo, Mrs. Melody Nease, Dr. Eric Nease, Dr. Donald Balholf and Dr. Mark Dusek performed for attendees.

Co-Presidents' Update

June 3, 2024, is a seminal date in history that marked the official “birth” of the Southern Society of Orthodontists.

Legal documents were signed that formally combined the operations of the SAO and SWSO to allow the two AAO constituents to operate as a joint entity.

The effort required from the many past and present SAO and SWSO leaders to get us to this point is beyond comprehension. The number of meetings required were numbered in the hundreds, not the tens. The time required is measured in years, not months. And certainly the dedication can only be measured in everyone’s common love for orthodontics and the future of organized orthodontics. There was a dynamic atmosphere in Orlando as we finally came together and got to celebrate our first meeting as the SSO!

Speaking of celebration, there are many mentors and friends we want to thank. These leaders have supported us in our SSO Leadership journey. Dr. Buzz Behrents was Chair at Tennessee when Eric matriculated and at Saint Louis when Matt graduated. He took a chance on a country boy from East Tennessee and inherited a kid from central Canada, yet patiently taught and mentored both of us. Buzz instilled in us an ethic in how to pay it forward to our specialty so that we can leave our specialty in a better place than when we entered it.

For Eric, many thanks to his senior partner, Dr. Phil Higginbotham. Not only has Phil been a great mentor, but a wonderful friend for 25 years. And for Matt, much gratitude goes to the

late Dr. David Kennedy, a Past-President of the Royal College of Dentists in Canada and his first “boss” who gave him a job out of residency. Both of these early mentors further cemented the importance of volunteer leadership and giving back to the specialty that has given us so much.

Drs. Dewayne McCamish, Gary Inman and Ken Dillehay, our fearless Past-Presidents of the AAO, planted the seed of the merger of our two historied constituencies many moons ago. They were the ones who first got each of us involved in SAO/SWSO Leadership. They believed in us, and faithfully guided us through the sometimes muddied path towards merger.

Drs. Richard Williams and Steve Robirds, our current staunch Trustees to the AAO, have been instrumental. We would not be where we are today without their leadership and steadfast counsel. They truly have been a beacon of light that has navigated us through the storms and the reality of the SSO today.

A heartfelt thank you to our wives, Melody and Theresa, for their unwavering support. How does the saying go? “Behind every strong man is an even stronger woman!” This saying could not be more true in our respective cases. A lot of patience is required when they hear, “Yes honey, I have another conference call tonight.”

We must rely on the current members of the Executive Committee and Board of Directors to help mold the shape of our burgeoning

organization. And of course, we thank ZuBu Management Solutions, our management team, for their organizational skills that helped make it all happen. Above all else, we thoroughly enjoy the laughter, fellowship and friendship of the entire group.

The SAO and SWSO have long been leaders in organized orthodontics. Our groups have worked side by side to pursue multiple initiatives through the years. The current structure of our joint operations is just the first step towards a larger goal – to complete a full merger of the SAO and SWSO. The greatest immediate challenge for the SSO is to convince our orthodontic brethren across the country that the merger and consolidation of orthodontic constituencies is in the best interest of organized orthodontics and the AAO. Our job as co-presidents of the SSO is to represent our organization’s position and to present this plan to the other constituents of the AAO. The AAO House of Delegates will have the final say in how and when our merger will be recognized. This recognition will clear the way for the finalization of our plan.

A task force formed by the AAO House of Delegates is working to explore options on how to fully integrate our proposed merger. Led by Drs. Kyle Shannon and Dan Joseph, we will continue to send our message to the rest of the AAO. Our goal is to preserve the representation of the SAO and SWSO at the national level until the AAO is ready to fully recognize the SSO. Hopefully, at that time, our merger and a new national orthodontic governance structure will be determined. We need EVERYONE to help achieve this goal. Please speak with your friends and colleagues across the country to spread our message. Only with full member involvement can we make this goal a reality.

At our recent Orlando board meeting, the management team shared with us the information that our joint operations will have a projected savings of 14% in our operational cost compared to the separate budgets of the SAO and SWSO from the year prior. In one year, we have already managed to find synergy! By reducing costs, we can use those dollars saved to offer member programs and/or find ways to benefit the members of the SSO.

As the 2024 SSO meeting in Orlando was happening, Hurricane Helene made landfall in the Florida Big Bend region and continued to hold strength as she made her way across the SSO footprint. In her wake she left behind a path of major destruction, especially in Western North Carolina and Eastern Tennessee. Many of our SSO members, their families, and their team members’ families were affected by this devastating storm. Just one week later, Hurricane Milton made landfall just south of Tampa and traversed Florida. It caused even more damage. In response, the SSO Executive Committee is looking at both short and long-term ways to help our members who experience disasters such as these. Our region is no stranger to hurricanes, tornadoes, floods, and other natural disasters. We owe it to our members to be responsive and be there to help in times of need. The urgent needs may be financial in order to help get practices back up and running or to repair home damage. We can hopefully implement policies and procedures to better guide our members following a natural disaster.

As the first full year of joint operations progresses, we will continue to strengthen the direct relationship and support between the SSO and our component organizations. The AAO, our parent organization, does a lot of things well. But we feel that the SSO can, and should be, a more effective conduit of information to/from our component societies. We will also explore areas to expand member engagement in worthy causes like the AAOF and the AAOPAC.

The SAO’s Leadership Program (later emulated by the SWSO) has cultivated many fine leaders over the years. This year’s class presented different ideas on how to tackle the nationwide problem of faculty retention and support in our residency programs. The SSO helped craft and champion a resolution that was passed in New Orleans by the House of Delegates. This initiative will start a $1.8 million endowment for the purpose of full-time faculty fellowships. We will look for ways that we can help the many renowned programs in our region to continue to provide the best quality orthodontic education for the future of our specialty.

It isn’t too early to mark your calendars for next year’s meeting, November 6-8, 2025 in San Antonio, Texas. The meeting will be held on the San Antonio Riverwalk and Dr. Theresa Coleman and the CAMP team are eagerly planning an amazing meeting experience. We will be having our Friday night celebration at Sea World. That night, the park will be closed to the public, allowing our group exclusive access to all the rides and attractions. Bring your staff and your families for a meeting you won’t want to miss!

As we progress through this next year, we will work diligently to refine the structure, policies and procedures of the SSO. We fully expect challenges and are ready to meet them. If there are questions or concerns about the SSO or any of our operations and actions, we stand ready to discuss them at any time. We are here to serve you, the members of the SSO, to the best of our ability.

We sincerely thank you for this opportunity.

Trustees’ Report

This report was written by Dr. Steve Robirds, SWSO Trustee, in consultation with Dr. Enrique Cruz, Trustee at Large, and Dr. Richard A. Williams, SAO Trustee.

Hello to all fellow SSO members!!

To have three AAO Trustees from the Southern Society of Orthodontists allows us to provide for our members in ways that don’t happen very often. Richard wrote to you in the last newsletter about the journey to get to where we are today and some of the exciting changes that are happening at the national level. But more on that later in this report.

First, let’s talk about our meeting in Orlando. Despite the threat of Hurricane Helene heading our way, we gathered in Orlando with the idea of putting on a fun, spirited, and entertaining meeting for all! Helene, as it turns out, provided very little in the way of rain and wind in Orlando. We even played our golf tournament on the day the weather was supposed to be the worst and except for about a 30-minute rain delay in the middle of the round, the tournament went off without a hitch! Also, a large number of attending orthodontists, along with their staffs and families, participated in the Bike Build! With the encouragement and help of our Opening Ceremony Speaker, Roberto Clemente Jr., 121 bikes were assembled for distribution to various charities throughout Orlando. These bikes will give less fortunate kiddos the chance to find joy in owning and riding a beautiful newly built bike!! Roberto’s dad was an amazing major league baseball player who gave back to his community both locally and internationally until his untimely death while delivering relief supplies to needy families in Nicaragua. Roberto Jr. continues his dad’s legacy every day. From the Opening Ceremony to the Big Bash at Universal Orlando CityWalk (some amazing Karaoke...), the energy and camaraderie were second to none. Next year’s meeting in San Antonio promises to continue the tradition we have started with the SSO! Many thanks to our CEO team of ZuBu Management Solutions (Kelsey, Lissette, Jaclyn and their support staff) for making sure the meeting was a complete success.

Another SAO/SWSO Leadership Class had a successful conclusion. The teams made very impressive presentations on the future of our specialty and how to make it stronger. Listening to these young professionals convinced me that the future of orthodontics is in good hands!

So what is going on nationally? Richard wrote about some wonderful action that came out of our AAO House of Delegates at the Annual Session in New Orleans. To provide the financial means to continue funding projects such as Digital Transformation and Full Time Faculty is ongoing. You will be hearing more as they roll out. These initiatives will have a tremendous impact on how we interact within our association and will lay the groundwork for much needed change in education, communication, and even... insurance? Yes, the AAO is attempting to go through a complete revamp of our endorsed insurance program in order to provide our members with the most comprehensive package of coverages under one roof. Stay tuned for updates on these groundbreaking efforts!

Advocacy is always a hot button topic, especially during an election year. Our Advocacy team has been doing an amazing job of making sure our practices and specialty are not adversely affected by what happens in DC or your state government. It’s hard to believe that Smiles Direct Club closed its doors over a year ago. So where and when will the next challenge emerge? We must all stay vigilant.

One last thought.... The AAO is recognized as the preeminent voice and representative of our specialty, not just in North America, but worldwide. Orthodontic associations around the world often ask for our help to make their associations stronger, more respected and most importantly, how their respective association can help improve the lives of the citizens in their respective countries. It is a great time to be an orthodontist and help those who visit your office every day! Giving back is never a bad thing.

From Richard, Enrique, and myself, Thank you!

“ Our new AAOF Executive Director, Mr. Brett Schott, just completed his first year with outstanding achievements.”

AAOF Report

During his first year he has dramatically strengthened the two pillars of our Mission Statement:

1. To support Exceptional Education and Research.

2. To Promote and Facilitate Orthodontic Charitable Giving by our Member Orthodontists.

Mr. Schott, VP - AAOF, along with our AAO Board of Trustees Liaison, Dr. Richard Williams, provided the leadership and direction to develop a plan that will perpetually fund our Teaching Fellowships for full-time orthodontic faculty members. A Pilot Program that provides Teaching Fellowships was initiated by the AAO Board of Trustees in order to retain our most talented graduate orthodontic faculty members. The first 3 two-year Fellowships of $30,000 each were disbursed from 2007 to 2010. Many more Teaching Fellowships were funded by the AAO from 2019 to 2024. 39 out of 40 Fellowship recipients have remained in academia!!

Mr. Schott and Dr. Williams have developed a plan that will fund these Fellowships yearly into perpetuity. An Endowment Campaign will be funded 50-50 with donations to the AAOF from AAO members and from the AAO. We need to raise 3.6 million dollars to fully fund these Teaching Fellowships that will be awarded. 1.8 million dollars will be raised by donations to the AAOF. The AAO will match each dollar raised by individual donations to the AAOF up to the matching amount of 1.8 million dollars. We will be asking for donations in any amount from all of the orthodontists in our country and Canada. We request our fellow orthodontists to consider pledging $25,000 with an initial donation of at least $2,500. After one has donated this initial amount, he/ she will immediately be presented with an AAOF Regent lapel pin that has a diamond in the center of the “O” in the AAOF. When the Regent Pledge is completed, the donor will be

listed on our Regent Honor Roll. Any previous donations made to the AAOF will count towards a total Regent Pledge of $25,000. An AAOF Fellowship Campaign Leadership Team, comprised of Brett Schott, Richard Williams, Lili Horton, David Sarver and Neal Kravitz has been established to help secure donations to this important initiative.

The AAOF also awards the following scholarships to Junior Orthodontic Faculty and Residents:

[6] Junior Faculty Development Awards

[5] Basic Science Research Awards (can be for Junior and Senior Faculty)

[10] Resident Research Awards

The AAOF sponsors the Resident Education Program for orthodontic residents during their last year of graduate education. The resident must “sign in” at the AAOF Booth at the AAO Annual Session to receive a stipend to help offset the cost to attend the Annual Session. This gives the AAOF an opportunity to educate these future orthodontists about the role that the Foundation plays in maintaining the quality of graduate orthodontic education and to invite them to give back to their specialty by registering for the newly designed Gifted Smiles Program.

The AAOF’s second major pillar of its Mission Statement is to “Promote Orthodontic Charitable Giving”. Mr. Schott discovered that all of the current “Charitable Giving “ was administered by the AAO through its Donated Orthodontic Services (DOS) program. The DOS Program was only active in a few states with small numbers of patients being treated. Mr. Schott saw an opportunity to dramatically expand the number of doctors treating these underserved patients, to expand the Program nationwide, to rebrand this charitable giving program and to develop promotional materials for the orthodontists who register to treat these patients. He also saw a need to have a dedicated AAOF staff member to

administer this Program. The AAO’s Donated Orthodontic Services Charitable Giving Program has been rebranded by the AAOF. It will now be known as the “Gifted Smiles Program”. Mr. Schott. assigned an AAOF staff member to administer this new Program - Ms. Tabitha Smith. Ms. Smith has developed a gift box that is sent to all participating orthodontists. The box includes stickers, note pads, an hourglass and a campaign button, all with the “Gifted Smiles” logo on them.

We are glad to report that this Program has taken off. 350 orthodontists have signed up as providers along with over a dozen graduate orthodontic programs who will be providers. The Raymond George Sr. Award for Outstanding DOS Service was presented to our own Dr. Ken Dillehay.

This year we welcomed these new Officers and Directors:

President Dr. Lili Horton

Vice President Dr. James Klarsch

Directors Dr. Normand Boucher (MASO)

Dr. Neal Kravitz (SAO)

Dr. J. Martin Palomo (GLAO)

We express sincere gratitude to the SAO’s retiring Director, Dr. Wanda Claro, for her service to the AAOF as a Director and as a PARC Liaison.

Dr. John Carter

AAOF Director, SWSO

Dr. Neal Kravitz

AAOF Director, SAO

Dr. John Carter
Dr. Neal Kravitz

Southern Society of Orthodontists Charitable Giving

Southern Society of Orthodontists

Commits $30,000 to Support

Future Faculty Fellowship

The Southern Society of Orthodontists (SSO) is proud to announce its commitment to the future of orthodontic education by donating $10,000 per year, for three years, to the AAO Foundation’s Future Faculty Fellowship. This $30,000 contribution will directly support the development of future educators in orthodontics, helping ensure that the next generation of professionals is guided by skilled and dedicated faculty. We are honored to be part of this important initiative, fostering excellence in orthodontic education for years to come.

Southern Society of Orthodontists

Donates $25,000 to Hurricane Relief and Offers up to $10,000 in Matching Funds

In response to the devastation caused by Hurricanes Helene and Milton, the Southern Society of Orthodontists has donated $25,000 to the AAOF Disaster Relief Fund to support members affected.

To amplify this effort, SSO will match member donations up to an additional $10,000 through December 31, 2024.

Your generosity can make twice the impact—join us in uplifting our community and providing vital relief. Together, we can make a meaningful difference!

Please scan the QR code to make a donation.

Take Action to Advocate for Patient Health

Members encouraged to submit case information to Food and Drug Administration Database.

The AAO recently met with FDA leaders to discuss the risks of direct-to-consumer (DTC) clear aligners, urging members to report adverse events via the FDA’s MAUDE database.

Your submissions will help the FDA evaluate these risks, potentially leading to public warnings about DTC treatment without an in-person exam. Step-by-step instructions for submitting reports are available on the AAO website and OrthoFacts.org. Participation is crucial in supporting the AAO’s advocacy for patient health and safety.

For more details, scan the QR code line to the AAO website.

SSO Director & Delegates Update

Southern Society of Orthodontists

Board of Directors and Delegates:

Executive Committee

Dr. Eric Nease, President

Dr. Matthew Ng, President

Dr. Christine Ellis, President - Elect

Dr. Preston Miller, President - Elect

Dr. Donald Balhoff, Secretary - Treasurer

Dr. Kyle Shannon, Senior Director

Dr. Jeremy Albert, Junior Director

Dr. Enrique Cruz, AAO Trustee at Large

Dr. Steve Robirds, SWSO Trustee

Dr. Richard Williams, SAO Trustee

Component Directors

Alabama - Dr. Paige Whitt

Arkansas - Dr. Matthew Davis

Florida - Dr. TJ Albert

Georgia - Dr. Christian Johnson

Kansas - Dr. J.K. Dillehay

Kentucky - Dr. Thomas Baldwin

Louisiana - Dr. Corbin Turpin

Mississippi - Dr. Jason Vassar

North Carolina - Dr. Robert Selden

Oklahoma - Dr. Ryan Theobald

South Carolina - Dr. Brian Hamby

Tennessee - Dr. Tyler Allen

Texas - Dr. Andrea Font Ritzier

Virginia - Dr. George Sabal

West Virginia - Dr. Lance Pittman

Delegates to the AAO

Southern

Alabama - Dr. Christy Savage

Florida - Dr. John Beattie

Florida - Dr. Jim Wortham

Georgia - Dr. Jason Kaplan

Kentucky - Dr. Greg Inman

Louisiana - Dr. Brett Benoit

Mississippi - Dr. Kevin Holman

North Carolina - Dr. Jeff Rickabaugh

South Carolina - Dr. Bryan Green

Tennessee - Dr. Candice Coleman

Virginia - Dr. Edward “Chopper” Snyder

West Virginia - Dr. Daniel Joseph

New & Young - Dr. Kyla Swearingen

Alternate Delegate - Dr. Eric Nease

Alternate Delegate - Dr. Donald Balhoff

Alternate Delegate - Dr. Preston Miller

Southwestern

Arkansas - Dr. Brittany Stroope

Kansas - Dr. Joe Moon

Oklahoma - Dr. Scott Hubbard

Texas - Dr. Matthew Ng

Texas - Dr. Mike Ragan

Texas - Dr. John Wise

Alternate Delegate

Texas - Dr. Darshit Shah

Texas - Dr. Chris Cramer

We extend our heartfelt gratitude to the outgoing Directors and Delegates for their dedicated service. The SSO deeply appreciates the invaluable contributions of all our volunteers!

Outgoing Component Directors

Dr. Celeste Block - Louisiana

Dr. Michael Hazey - West Virginia

Dr. Enrique Cruz - Texas

Dr. Deji Fashemo - Texas

Dr. Trey Jackson - Louisiana

Dr. John Wise - Texas

Outgoing Delegates:

Dr. Brandon Chadwell - South Carolina

Dr. Beth Faber - Virginia

Dr. Onur Kadioglu - Oklahoma

Dr. Corbin Turpin - Louisiana

SSO Board of Directors
SAO and SWSO Past Presidents

The American Board of Orthodontics 2024 Constituency Report | Winter 2024

The American Board of Orthodontics is committed to upholding our mission to elevate the quality of orthodontic care for the public by promoting excellence through certification, education, and professional collaboration.

AB0 Yearly Update

The ABO is proud to announce that 63% of AAO orthodontists are now board certified.

Written Examination Update:

The 2024 ABO Written Examination was administered to 443 examinees on April 2, at Pearson Vue Testing Centers in the United States and Canada. The examination had a 99% pass rate.

The next Written Examination is scheduled for April 9, 2025, online registration opened November 6, 2024. Applicants must have graduated or be currently enrolled in a CODA accredited advanced specialty education program in orthodontics and dentofacial orthopedics in the United States or Canada. Orthodontic residents must have completed 18 months of their program by the Written Examination date in order to be eligible to take the exam.

Scenario-based Clinical Examination

Update:

The February 2024 ABO Scenario-based Clinical Examination was conducted February 22-23 at Pearson-Vue Testing Centers Worldwide. A total of 329 orthodontists were certified during the 1st and 2nd Quarters of 2024, including the February examination, which had an 89% pass rate. In addition, 21 orthodontists completed their 10-year certification renewal requirements. Please visit the ABO website for a complete listing by constituency of names of those who received accreditation for this time period.

The September 2024 ABO Clinical Examination was held on September 17 at Pearson-Vue Testing Centers Worldwide.

Beginning in 2025, the ABO will transition to offering one Scenario-based Clinical Examination per year. The scheduled date for the 2025 examination is September 17. Online registration is open.

An orthodontist must first successfully complete the ABO Written Examination before taking the Scenario-based Clinical Examination. Preparation materials for the examination, including study guides and samples cases, along with how to register, are located on the ABO website.

Certification Renewal Examination:

Certification renewal is required every 10 years in order to maintain active board certification status. It may be started no earlier than 36 months prior to the expiration date printed on an individual’s certificate. For individuals whose board certification will expire within the next 3 years, communications are distributed throughout the year as a reminder to recertify. There are two options to complete the recertification examination. These options include one online Board Case Examination or a Mail-in Case Report Examination, both of which also require the completion of continuing education credits from online AJODO examinations. Please visit the ABO website for materials to help prepare for the examination.

Please contact the following ABO staff members should you have questions on any of the ABO examinations:

Written Examination Certification Coordinator

Nicole Huson

Nicole@AmericanBoardOrtho.com

Clinical Examination Coordinator

Kim Koch Kim@AmericanBoardOrtho.com

Educational Update:

• The ABO Educators Symposium will be held in St. Louis, MO on Saturday, February 22, 2025, with a dinner the prior evening, February 21. Invitations for the event have been distributed. Orthodontic department chairs, program directors, or two faculty representatives from each orthodontic program are invited to participate, along with ABO Emeriti, ABO Ambassadors, and leadership from AAO and CDABO.

• The ABO Pathway Program was launched in June 2024. The program is designed to introduce doctors to the ABO and the certification process, educate doctors about the value of Board certification, encourage the pursuit of Board certification, provide an overview of the Written and ScenarioBased Clinical Exam, address FAQ’s, provide resources and engage doctors along their pathway to certification.

The American Board of Orthodontics currently has 16 Ambassadors (with all constituencies represented) for

2024-2026, all of whom completed the Scenario-Based Clinical examination. Two different presentations are available for our Ambassadors: The Pathway to Board certification: Overview and The Pathway to Board certification: Clinical Examination Educators have the ability to request presentations, and the ABO also holds virtual presentations for all registered examinees prior to each examination.

• The AAO recently asked for nominees for an upcoming position on the CODA Review Committee on Orthodontics and Dentofacial Orthopedics to fill the role of the AAO/ABO joint representative.

• The ABO Executive Committee attended the AAO Winter Meeting in San Antonio, TX.

• The incoming ABO Executive Committee, along with Carole Newport, CEO, attended the February 2024 ASAE CEO Meeting in San Diego, CA. The meeting provided opportunities to brainstorm future strategic goals and objectives.

• ABO Directors participated in the March 2024 CDABO meeting in Savannah, GA.

• The ABO is focusing on 2024 marketing efforts which include development of a professional photo library for use on the ABO website, social media campaigns and communications.

• The ABO has added an “Across the Board” blog on our website. Timely updates and important news will be shared via this communication method.

• Board Certified orthodontists have access to valuable tools and resources that are located on their personal ABO dashboards. These resources communicate board certification achievement. Customizable brochures, videos, patient/team materials, window clings, sample website copy, Brand Standards Guide and ABO seal and logo designs are just a few of the items available.

• Please follow the ABO on social media for news and updates:

https://www.facebook.com/ americanboardoforthodontics

https://www.instagram.com/ americanboardorthodontics.

2024-2025 ABO Directors:

The ABO Directors for the 2024-2025 year are as follows:

• Dr. Jae Hyun Park - President, the Pacific Coast Society of Orthodontists

• Dr. Roberto Hernandez-Orsini - PresidentElect, the Middle Atlantic Society of Orthodontists

• Dr. P. Emile Rossouw - Secretary-Treasurer, the Northeastern Society of Orthodontists

• Dr. Anthony Puntillo - Director, the Great Lakes Association of Orthodontists

• Dr. Daniel J. Rejman - Director, the Rocky Mountain Society of Orthodontists

• Dr. Meenakshi Vishwanath - Director, the Midwestern Society of Orthodontists

• Dr. Timothy Trulove - Immediate Past President, the Southern Association of Orthodontists

The AAO House of Delegates confirmed Dr. Onur Kadioglu as the ABO Director who will represent the Southwestern Society of Orthodontists. In addition, the AAO House of Delegates confirmed Dr. Timothy Tremont as the new Director who will represent the Southern Association of Orthodontists.

ABO at the 2024 AAO Annual Session

The ABO was pleased to recognize the following 2024 award recipients during the ABO 2024 Awards Night in New Orleans, LA. Congratulations to the following individuals:

• Dr. Peter M. Greco - Albert H. Ketcham Memorial Award

• Dr. Allen H. Moffitt - Dale B. Wade Award of Excellence in Orthodontics

• Dr. Eladio DeLeon, Jr. - Earl E. and Wilma S. Shepard Distinguished Service Award

• Dr. Leslie A. Will - O.B. Vaughan Special Recognition Award

The award recipients for 2025 were announced. The following individuals will be recognized during next year’s 2025 AAO Annual Session in Philadelphia, PA. Congratulations!

• Dr. David Sarver – Albert H. Ketcham Memorial Award

• Dr. Scott Jamieson and Dr. Larry TadlockDale B. Wade Award of Excellence in Orthodontics

• Mrs. Melissa Brydels - Earl E. and Wilma S. Shepard Distinguished Service Award

• Dr. Jim Henderson - O.B. Vaughan Special Recognition Award

The ABO hosted the following events during the 2024 AAO Annual Session in New Orleans, LA:

• ABO Ambassador Training took place in preparation for the launch of The ABO Pathway Program.

• The ABO Booth was located inside the Exhibit Hall within the AAO Pavilion. ABO Directors and staff were available to answer questions, promote board certification, and receive feedback. Newly board certified orthodontists were invited to stop in to celebrate their achievement and receive a special gift.

• The ABO attended the New and Younger Member Conference and manned a booth to provide information on board certification to attendees.

• Several ABO Directors were speakers on various topics during the AAO 2024 session.

• An ABO Appreciation Breakfast was held to thank ABO Emeriti, current year ABO Examiners and ABO Ambassadors for their continued support and dedication to board certification.

The Southern Association of Orthodontists (SAO) proudly announces Dr. Dan Joseph has been named the recipient of the 2024 DeWayne McCamish Lifetime Achievement Award.

Established in 2008, this prestigious award honors individuals, both orthodontists and nonorthodontists, who have provided outstanding lifetime service to the specialty of orthodontics. With only eight honorees in its 16-year history, the award is presented only when the SAO Board of Directors deems it appropriate.

Dr. Joseph’s exceptional service and dedication to the specialty surpasses all the established criteria and make him a deserving honoree.

Dr. Joseph’s remarkable career spans over four decades. He has served at every level of his local and state dental associations, including President of the West Virginia Dental Association. His service has extended to the national level where he served in the American Dental Association (ADA) House of Delegates. He has also contributed to the International College of Dentists, the American College of Dentists, and the West Virginia Board of Dentistry.

The DeWayne McCamish Lifetime Achievement Award

Dr. Dan Joseph West Virginia

In orthodontics, Dr. Joseph’s contributions are equally impressive. He has held numerous leadership positions, including President of his state orthodontic association, a member of the SAO Board of Directors for 25 years, and a delegate to the American Association of Orthodontists (AAO) House of Delegates. He has played a vital role on every SAO governance task force since 2001. Notably, Dr. Joseph’s foresight and leadership were instrumental in the formation of the Southern Society of Orthodontists (SSO). He tirelessly worked with a dedicated committee for more than five years to bring the vision to life.

Dr. Joseph’s long history of service has been recognized throughout his career. Twenty years ago he was awarded the SAO Citizenship Award. Just three years later he received the Oren Oliver Distinguished Service Award. These accolades reflect his sustained

dedication and continuous involvement in advancing the orthodontic specialty.

His commitment to “giving back” stems from a deep personal motivation. On his website, he shares: “My father was an orthodontist and a leader in his profession. One of the values he instilled was to always give back more than you take. He set very high standards; my lifelong goal is to honor him and to continue to improve this great profession of orthodontics in a way that would have made him proud.”

The SAO is honored to recognize Dr. Dan Joseph’s extraordinary legacy with the DeWayne McCamish Lifetime Achievement Award. His lifelong dedication to orthodontics, dentistry, and the broader healthcare community has left an indelible mark on the dental profession, and his service continues to inspire future generations of orthodontists.

Eddy has quickly made a name for himself in the world of orthodontic advocacy and leadership in Florida.

Since completing his residency in 2017, Eddy participated in the Southern Association of Orthodontists (SAO) Leadership Program and was soon recognized by the Florida Association of Orthodontists (FAO) leadership as a future superstar.

Eddy’s dedication to advocacy has taken him to the national stage. He has represented both dentists and orthodontists for the past five years at the American Association of Orthodontists (AAO) Advocacy Conference in Washington, D.C., as well as at the Florida Dental Association’s (FDA) “Dentist Day on the Hill”. His commitment to the specialty continues in his current role as the State of

The Sharon Hunt Emerging Leader Award

Dr. Eddy Sedeno Florida

Florida’s Component Advocacy Liaison (CAL) for the AAO’s National Advocacy Network. This is a critical position that addresses orthodontic and dental issues.

Eddy also plays a pivotal role in shaping the future of the FAO. He currently serves as Secretary-Treasurer on the FAO Board, a position that places him on the seven-year leadership ladder to become the FAO President. His influence extends beyond orthodontics

because he also contributes to the FDA’s Annual Meeting Planning Committee, proof that his leadership talents bridge the FAO and FDA.

Eddy is certainly a rising leader to watch. His contributions to orthodontic advocacy and leadership are making a significant impact on the specialty.

Dr. Robert B. Moss, Jr. is the 2024 recipient of the Oren Oliver Distinguished Service Award. This award, established in 1978, recognizes SAO members who have demonstrated exceptional dedication and service that goes “above and beyond” the normal commitment, contributing significantly to the organization’s mission.

Dr. Moss’s impressive leadership journey in orthodontics began with the Georgia Association of Orthodontists. He rose through its ranks to serve as President. He has also been the President of the College of Diplomates of the American Board of Orthodontists (CDABO) and has dedicated nine years as the SAO Chair of the Constituent Affairs Committee. Additionally, Dr. Moss has been a member of the Board of Directors of the CDABO Foundation for 12 years.

The Oren Oliver Distinguished Service Award

Dr. Robert Moss Georgia

His commitment to service extends beyond orthodontics. Dr. Moss has actively contributed to various other organizations, including the Georgia Dental Association, the Southwest District Dental Association, Rotary International, the Chamber of Commerce, United Way, and his church.

For over two decades, from 2002 to 2023, Dr. Moss represented the SAO as a delegate to the American Association of Orthodontists (AAO) House of Delegates and served as the Chairman of the SAO delegation for ten years. He also led all of the Delegation Chairs and brought a spirit of collaboration to the group that transformed the way the House of Delegates operates. His emphasis on open dialogue among constituents and proactive

resolution review streamlined the decisionmaking process—an enduring legacy that continues to shape the AAO’s procedures.

The SAO is honored to recognize Dr. Moss for his exemplary leadership and tireless service to the orthodontic community. His remarkable contributions have not only advanced the SAO’s mission, but have left a lasting impact on the entire specialty.

Congratulations to Dr. Moon, the winner of the SWSO Felton Award for recognition of outstanding service. Dr. Moon follows in the footsteps of Dr. J. Mark Felton’s outstanding service to the specialty.

After earning his degree in chemical engineering from the University of Kansas, Dr. Moon pursued dentistry at the University of Pennsylvania. He completed a GPR in New York City before specializing in orthodontics at the University of Minnesota.

Dr. Moon’s leadership roles include serving on the SWSO Executive Committee and completing his term as President in 2023. He played a key role in the formation of the SSO. He has also served as a Delegate to the AAO

The J. Mark Felton Award for Volunteer Service

Dr. Joe Moon Kansas

House of Delegates for six years and continues to serve as Vice Chair of the delegation. His involvement extends to the Kansas Association of Orthodontists, where he served as President, and to the American Association of Orthodontists Insurance Company where is serves as an advisor to the Board of Directors. Dr. Moon’s dedication to developing future leaders is exhibited through his contributions to the AAO Leadership Development Conference Planning Committee.

Known for his commitment to the orthodontic specialty, his family, and his beloved Kansas City Chiefs, Dr. Moon’s passion and advocacy have made a lasting impact. We are honored to recognize his contributions with the 2024 J. Mark Felton Award for Volunteer Leadership.

The award, featuring design elements from Dr. Felton’s favorite architect, Frank Lloyd Wright, symbolizes the strength and legacy of leadership.

Andy has dedicated many years to organized dentistry and to orthodontics. He has served in various leadership roles and has had a significant impact on the dental profession.

His distinguished career is highlighted by his tenure as President of the Florida Dental Association (FDA) and his service on the American Dental Association’s Council of Dental Practice. For more than 15 years, Andy has been a trusted FDA liaison to the Florida Association of Orthodontists (FAO) board. In October 2024, he began his tenure as an ADA Trustee. His four year service will further extend his influence.

One of the most meaningful aspects of Andy’s career has been his volunteer work with Florida’s Mission of Mercy. Since 2016, he has played an instrumental role in this

The Citizenship Award

Dr. Andy Brown Florida

life-changing program. He served as Chair in 2016 and has been the Statewide Co-Chair since 2017. During his leadership, the program has treated 13,816 patients and has performed 90,334 procedures with the help of 12,854 volunteers. Year after year, Andy has devoted countless hours to ensuring the program’s success and improving access to dental care for those in need.

In addition to his volunteer efforts, Andy, the orthodontist, has consistently advocated for the public. He always attends the FDA’s annual “Dentist Day on the Hill” to lobby on behalf of

Floridians on important legislative issues. His commitment to the specialty also extends to education—he served as a volunteer part-time clinical professor at the University of Florida for over 15 years where he inspired future orthodontists to uphold a standard of excellence and a spirit of service to the community.

Andy’s remarkable contributions to both organized dentistry and to orthodontics are a testament to his enduring commitment to improving oral health care. His leadership continues to inspire those around him.

Steve has been an active leader in the orthodontic specialty and in his local community for many years. In addition to his roles in the State of Florida, the Southern Association of Orthodontists (SAO), and the American Association of Orthodontists (AAO), Steve’s community contributions are most impressive.

He was instrumental in leading the effort to fluoridate the Bradenton and Manatee County water supplies in the early 1990s. Steve has also served as President of several organizations, including the Manatee American Cancer Society, the American Lung Association, the Manatee Symphony Guild, and the Manatee Players. Additionally, he has been a board member for local

The Citizenship Award

Dr. Steve Tinsworth Florida

chapters of the American Red Cross, the Sarasota Symphony Orchestra, and the Manatee Chamber of Commerce, among others.

A longtime volunteer, Steve has chaired Florida’s Mission of Mercy and has been heavily involved in the Bradenton Kiwanis Club, where he helped raise over $12 million. His work has earned him numerous accolades, including the Hixson Award for Leadership and the Manatee County Chamber’s Champions of Healthcare Award.

Steve’s remarkable record of service, both within the orthodontic specialty and throughout his community, has strengthened the standing and respect of orthodontists nationwide. His contributions as a former SAO President and AAO Council Member reflect the profound impact that members of the specialty can have, both professionally and in their communities.

Dr. Stephen Robirds is the 2024 recipient of the SWSO Martin Dewey Award. Established in 1953, this award honors individuals who have made significant contributions to orthodontic education, research, and practice.

Dr. Robirds exemplifies the spirit of service, dedication, and leadership that this award represents. Throughout his career, he has continuously advanced orthodontics and has advocated for the specialty at both regional and national levels. His service includes many leadership roles – President of the Capital Area Dental Society, the Texas Association of Orthodontists, and the Southwestern Society of Orthodontists. Additionally, he has been a member and consultant to the AAO Council on Orthodontic Benefits and currently serves as the SWSO Trustee on the AAO Board of Trustees.

The Martin Dewey Memorial Award

Dr. Steve Robirds

Texas

Dr. Robirds’ contributions extend beyond his leadership and legislative advocacy. In his daily practice, he consistently upholds the highest standards of compassion, ethics, and clinical excellence. He deeply believes that orthodontics is not just a science, but an art that is capable of transforming lives. His dedication to patient care and his ability to inspire those around him are evident in his interactions with both colleagues and patients.

Honoring John Metz: A True Leader in Annual Meeting Planning

Dr. Beth Faber

As Dr. Kadioglu and I reflect on the success of this year’s meeting, we take a moment to recognize the incredible work that went into making these events memorable. One person who played an integral role in the planning and execution of our Annual Meetings was John Metz, Chair of the Committee on Annual Meeting Planning (CAMP).

Two years ago, the Southern Association of Orthodontists (SAO) and Southwestern Society of Orthodontists (SWSO) formed CAMP with the goal of bringing fresh ideas and energy to our gatherings. John, along with his committee, demonstrated remarkable expertise last year at Amelia Island, where it was the first meeting CAMP had planned. Their efforts added exciting new elements and fun, creating a vibrant atmosphere for attendees.

This year, CAMP returned for its second Annual Meeting, and once again, the committee delivered a host of exciting

As Dr. Robirds receives the Martin Dewey Memorial Award, we celebrate not only his remarkable accomplishments but the lasting impact he has made on the specialty of orthodontics. His legacy of leadership, mentorship, and unwavering dedication to both his patients and peers is an inspiration to all. We extend our deepest congratulations to Dr. Robirds and look forward to the continued influence he will have on our beloved specialty in the years to come.

additions and special events. Among the highlights was the return of a philanthropic tradition: Roberto’s Bike Build. Over 100 participants, along with generous contributions from various sponsors and individuals, helped raise over $48,000 for this cause.

John was the driving force behind much of this success. His tireless dedication to making our Annual Meetings outstanding was truly commendable. He was also the one who brought Roberto Clemente Jr. to us as the keynote speaker—showing once again that John was truly “connected” in the world of philanthropy and leadership.

At the close of this meeting, John completed his role as Chair but remains active on the CAMP committee. We took a moment to express our deepest appreciation for his unwavering commitment, expertise, and enthusiasm. His efforts not only shaped our events but also elevated the experiences of all who attended.

In recognition of his exceptional contributions, we were honored to present John with the “Walk-Off Home Run Award.” John, we thank you for your outstanding leadership over the past two years. Your impact will be felt for years to come, and as you took your final swing as Chair, we celebrated all that you accomplished for our community.

Dr. Beth Faber

CONGRATULATIONS TO ALL OUR 2024 AWARD WINNERS

Congratulations and thank you to this year’s winners! Thank you to our presenters and attendees who helped make the awards ceremony a truly special event.

Dr. Dan Joseph | West Virginia The DeWayne McCamish Lifetime Achievement Award
Dr. Andy Brown | Florida The Citizenship Award
Dr. Joe Moon | Kansas The J. Mark Felton Award for Volunteer Service
Dr. Eddy Sedeno | Florida
The Sharon Hunt Emerging Leader Award
Dr. Steve Robirds | Texas
The Martin Dewey Memorial Award
Dr. Robert Moss | Georgia
The Oren Oliver Distinguished Service Award
Dr. Steve Tinsworth | Florida
The Citizenship Award

GROUP 1

Drs. William Bates, Rachel Bellan, India Collier, Onni Franco, and Manika Patwari

Organizing Organized Orthodontics: A Paradigm Shift to Maintain Relevance

A breaking point may be near in organized dentistry and orthodontics in which a paradigm shift back to fundamentals is necessary in order to maintain the integrity, health, and credibility of our specialty. We are inundated constantly by supply companies and social media groups that provide conferences that add to the continuing education options for orthodontists. Furthermore, there has been evidence of a decline in membership in professional associations, such as the American Medical Association (AMA) and the American Dental Association (ADA). These factors of concern, along with an increased voice of “What’s the value to me?” among young orthodontists leads to the need to organize a plan of action that will bring more value and generational relevance to the Southern Society of Orthodontists (SSO).

Mobile phone applications (“apps”), social media presence, and/or podcasts can be used as technology accelerators and meet younger generations where they are with relevant value-added options within the SSO. These three areas will improve member engagement and member value, and thus will add modern relevance to the SSO and organized orthodontics. Subsequently, membership, meeting attendance, and most importantly, credibility for our specialty will improve. The development of a dedicated mobile phone application would significantly enhance the relevance and utility of the SSO in today’s digital age. By providing a centralized, accessible platform for information, communication, and professional development, the App can empower members and ensure the organization’s continued success and influence. Optimizing the utilization of social media giants such as Facebook and Instagram with engaging and informative content will attract new and graduating residents and will retain them as members for SSO and AAO. Additionally, collaborating with vendor portals will help the business side of the startups and practices as these continue to grow. The legacy of our specialty needs to continue to brightly shine and we need to evolve so we can thrive and succeed in this changing landscape. Finally, to enhance engagement and relevance, the SSO should consider developing a podcast series that offers valuable insights, expert interviews, and industry updates. This endeavor will connect with younger members and strengthen their commitment to the organization. These value-added ideas will provide a paradigm shift for new and young orthodontists to appreciate and accept the importance that the fundamentals of organized orthodontics offer for its members.

GROUP 2

Drs. Mohamed Bazina, Sheela Premaraj, Korry Tauber, and John Garza

Defining the Financial Profile of New Orthodontic Graduates And its Effect on Future Life Decisions

The financial burden faced by new orthodontic graduates is substantial, because of significant debt accrued from undergraduate, dental, and orthodontic education. On average, orthodontists graduate with around $560,000 in student loan debt. This large debt influences life decisions about career paths, lifestyle, and family planning. This debt has its roots in historical policies such as the GI Bill and the National Defense Education Act, which helped create the modern student loan system. However, over time, rising tuition costs, combined with easy access to loans through programs like Sallie Mae have contributed to a national student debt crisis. Graduates, especially orthodontic graduates, must contend with these financial realities as they plan their respective futures. These financial issues limit options in practice ownership and other major life decisions.

To address this issue, solutions such as increasing financial education, reducing unnecessary expenses in dental programs, and providing tax incentives for employers to assist in loan repayment are proposed. New graduates should also seek personal finance coaching and practice management training to make informed decisions about debt repayment and business ventures. Organizations like the American Association of Orthodontists (AAO) could offer debt management resources and help integrate financial education into orthodontic programs. Continued support from professional associations, coupled with progress monitoring and accountability measures, could help mitigate the financial strain on new orthodontists and guide them toward successful careers.

Project Summaries

GROUP 3

Drs. Jennifer Collins, Patrick Young, Neal Singh, Helder Jacob, and Diana-Beatrix Velicu

FiRST - Faculty in Residency Student Training program

Our group envisioned a pilot program, called FiRST (Faculty in Residency Student Training program). FiRST will attempt to address the faculty shortage by financially supporting eligible residents enrolled in residency programs within the SSO geographical area. The SSO will help up to 6 residents each year with a maximum stipend of $30,000/year for the duration of the individual residency program (2-3 years depending on the length of their program). In exchange, the newly graduated orthodontists will transition into a full-time faculty position at their given residency program and serve for the allotment of time that they were in residency. The idea for FiRST arose from similar government programs designed for the Armed Forces.

FiRST will be overseen by one individual within SSO who will act as the point person between residency programs, applicants, and the SSO. Each school will be responsible for contacting the SSO support person to let him/her know that the program will need a junior faculty member. Once registered for the position through the SSO, the school can then advertise the position to incoming orthodontic residents. There will be a separate application and interview process for candidates who wish to enroll in FiRST. It will take place after all residents match in order to prevent selection bias of certain candidates. Applications need to be submitted within 30 days of being released to both the residency program and SSO. A committee of 4 elected SSO members, in combination with joint approval from each residency program, will make the selection of the 6 participants. Applicants must be a U.S. Citizen or permanent resident in order to be eligible to apply. Once selected, the SSO, the school, and the President will sign a contract that will stipulate the length of the program, the stipend value and the years of post-graduation service.

GROUP 4

Drs. Allise Calloway, Sheela Kudchadker, Alexandra Pischke Thomas, Kyla Swearingen, and Kelsey White

Increasing SSO Membership Benefits

Successful organizations are driven by strong membership involvement that contributes to the advancement of its core mission. The Southern Society of Orthodontics can grow its membership by creating valuable member benefits such as a group buying program, an emotional intelligence development initiative program, and by supporting a charitable giving program. These programs not only provide financial savings for members, but also foster a supportive environment that promotes emotional well-being and empowers members to thrive both personally and professionally.

The goal of increasing membership in the SSO can be achieved by exclusive offerings to its members. Access to a dental group purchasing organization (GPO) can provide actual cost-saving benefits of supplies and services to orthodontic practices that may lack access to corporate buying capacity. We also propose to develop an online course for SSO doctors and their team members that will teach emotional intelligence skills that can enhance patient care, improve team collaboration, and foster professional well-being. Lastly, we must support the AAOFbacked Gifted Smiles Program, that will allow our SSO members to foster peer connections while serving their community. These member benefits can reach orthodontists throughout the span of their career and will help grow our SSO membership.

SMILES, SUNSHINE AND SUCCESS

Highlights from the SSO meeting in Orlando

Making a Difference:

“Roberto’s

Bike Build” at the SSO Annual Meeting

Partnering with the Roberto Clemente Foundation, Orlando Health, and Onbikes, SSO members and community volunteers built 121 bicycles for local children in need—each bike representing Clemente’s iconic jersey number, 21. The bikes and helmets were distributed to organizations like Azalea Park Little League, Boys & Girls Club, and Orlando Health, spreading joy and opportunity to young lives. This event celebrated Clemente’s enduring spirit of giving and the SSO’s commitment to community impact.

SSO Annual Meeting Keynote Speaker –Roberto Clemente, Jr.

PART 5 IN A SERIES

Parliamentary Pearls

Etiquette for Virtual Meetings

The COVID pandemic of 2020-2021 was a worldwide cataclysmic event that ended millions of lives and irreparably changed the way we lived during those 2 years. One of those hurdles dealt with in-person meetings.

The pandemic ushered in the use of virtual meeting platforms since “face to face” was essentially forbidden. Various platforms such as Google Meet, Ring Central, TeamViewer Meeting and Zoom were, and currently are, utilized. Within the AAO world, Zoom is the preferred format.

These virtual/electronic meetings were categorized as “the next best thing to being there”. All across the spectrum of required meetings for small businesses, corporations and professional organizations, meetings were held virtually. Bylaws and policy manuals, guidelines issued by Secretaries of States for incorporated entities and so forth were amended to allow virtual meetings to be recognized as legitimate for reporting purposes. This recognition of legitimacy requires some proper etiquette.

Whenever a virtual meeting is held that requires any voting on motions on behalf of the organization, the active video MUST be operational, if at all possible, and the member easily seen. Actions for the management of the organization, nominations/elections or any spending motions require all the members to be seen by all attendees. Blank screens with just the member’s name or a photo are not acceptable. At the major corporation level for a Board of Directors, this legal mandate hedges against the remote possibility of a computer hack who is attempting to derail a Board’s actions.

All the requirements for an in person meeting are in effect for virtual meetings: notice; quorum; fairness in seeking recognition, making motions; points of order and appeals; debate; voting; and legal requirements. Each attendee is responsible for his/her electronic connection. After logging on members should mute their microphone. The presiding officer may cause or direct the disconnection or muting of an attendee’s connection if it is causing undue interference. Attendees must use the RAISED HAND feature to be recognized. Finally, minutes must be recorded.

For the virtual meeting, the host may be the presiding officer or the host may be another member or even a staff member in order to free up the presiding officer to focus entirely on the meeting. A host can be very helpful in advising the presiding officer that someone has utilized the RAISED HAND feature to seek recognition as well as ‘share the screen’ to provide information for the group. It is up to the discretion of the presiding officer if the RAISED HAND feature is to be used for all voting, or waving one’s hand on the screen or a voice vote will suffice. Detailed main motions or any resolutions are to be sent to the host/or presiding officer ahead of time to be shared. Only the host or presiding officer can record the meeting.

While seated at an in-person meeting, discussion amongst one another seated nearby is quite common. This same activity can be accomplished by texting each other on smart phones and should be encouraged during a virtual meeting as long as it does not disrupt the event. Debate in a virtual meeting should be limited to 20 minutes per main motion and a member can speak no more than twice, for no more than 2 minutes on a debatable motion. Sometimes voice recognition of each participant may be difficult so in larger groups, the member should state their name when recognized.

When the group exceeds 10-12 participants, additional electronic methods are required for voting. The use of a smart phone app, such as SLIDO, E-BALLOT or ELECTION RUNNER, will ensure accurate vote count, that everyone voted, and preserve anonymity with respect to elections.

Depending on the event, a dress code can and should be emphasized. The AAO has held a virtual House of Delegates meeting on 2 occasions with the Speaker, Board of Trustees, Reference Committee Chairs and others seated. All were instructed to wear a coat/tie (pants optional). This same format is expected for interviews for the position of Trustee-At-Large and like events.

Electronic or virtual meetings are here to stay. They provide an excellent opportunity to conduct required meetings from one’s home, office, car, hotel or anywhere else that has an available internet connection. At the same time, the same standards for an in-person meeting are to be utilized in virtual meetings.

References:

American Institute of Parliamentarians Standard Code of Parliamentary Procedure, 2nd Edition, 2023.

How Would YOU Treat This Patient?

A healthy 17 1/2 year-old female was referred by her general dentist for evaluation of her “underbite”. According to the patient, she had not grown in height for at least the last three years. In addition, her impression was that she always had an underbite. Functional examination revealed a significant difference between centric relation and centric occlusion (Figure 1). The maxillary and mandibular incisors made initial contact when the mandibular musculature was relaxed.

Maximum intercuspation occurred following an anterior functional shift of the mandible and then vertical bite closure. The molar and canine relationship is Class III bilaterally, obviously worse in centric occlusion compared to centric relation. The INITIAL occlusal photographs (Figure 2) show mild maxillary anterior crowding, undersized and unusual shaped second premolars, and no apparent Class III compensation. A similar amount of crowding is seen in the mandibular arch, however, the incisors exhibit some visual Class III compensation.

The INITIAL facial photographs (Figure 3) provide a few subtle characteristics that correspond with the dentition. Profile evaluation suggests mild mandibular prognathism and lower lip protrusion. It is fair to say that the Class III dental discrepancy exceeds the milder Class III skeletal discrepancy. Frontal evaluation of the face appears normal. Upon smiling though, the maxillary anterior teeth exhibit inadequate tooth display. The eruption of these teeth may have been influenced in part by the edge-to-edge incisor relationship in centric relation impeding the eruption of these teeth. Neither the patient, nor her mom, expressed any facial esthetic concern. Their primary concerns focused on the teeth. They wanted the teeth to be straightened and the underbite corrected.

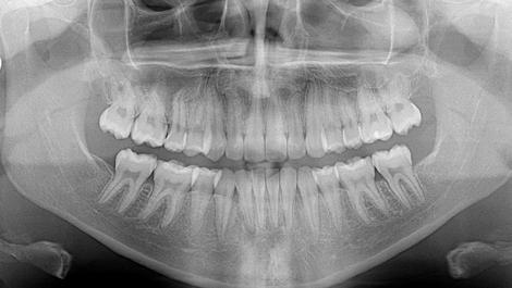
Cephalometric analysis confirmed a mild skeletal Class III relationship and normal vertical dimension. Both the maxillary and mandibular incisors were measurably mildly retroclined. The panoramic view was unremarkable. In fact, root length and bone level were excellent at the start of treatment.

How would YOU treat this patient?

Treatment Planning Considerations

There are two ways to correct a dentoskeletal Class III discrepancy in a non-growing patient: surgical orthodontic treatment, or orthodontic camouflage. Orthodontic camouflage aims to correct the dental discrepancy, recognizing that the skeletal relationship will remain the same. This patient does not seek a change in facial esthetics. So, the surgical option only becomes a greater consideration if the skeletal imbalance exceeds the limit of successful orthodontic camouflage treatment. The result needs to be esthetic, functional, stable, and healthy to qualify as successful camouflage treatment.

Will teeth need to be extracted as part of orthodontic treatment? It depends. If Class III surgical correction is planned, non-extraction therapy would be ideal for alignment, leveling, and decompensation prior to surgery. If orthodontic camouflage is planned, it will be necessary to retract the lower incisors to establish ideal overjet and Class I canine occlusion. Therefore, extraction of teeth will at least be required in the mandibular arch. What about in the maxillary arch? Which teeth should be extracted to facilitate camouflage treatment? Which of the following options would YOU choose?

Option 1:

Non-extraction treatment in both arches, in preparation for Class III surgical correction. Pre-surgical orthodontic tooth movement will include alignment of the teeth, leveling in both arches, and dentoalveolar decompensation of the anterior teeth. Non-extraction treatment without surgery was not even a consideration.

Option 2:

Extract maxillary second premolars and mandibular first premolars as part of Class III camouflage treatment. This Class III extraction pattern would eliminate the unusual shaped teeth in the maxillary arch. It will be necessary to retract the mandibular anterior teeth more than the maxillary anterior teeth and finish with a Class I molar relationship. Class III elastics will be required as part of this plan.

Figure 1
Figure 2
Figure 3

Option 3:

Extract mandibular first premolars only and finish with a Class III molar relationship bilaterally. As in Option 2, a different camouflage extraction pattern, the canine relationship must end up Class I to achieve ideal overjet and overbite at the conclusion of treatment. As part of this plan, the shape of the maxillary second premolars will be accepted and simply achieve the best fit.

The Treatment Plan Chosen

The surgical option was not chosen for two reasons. First, the patient had no facial esthetic concern. Second, the prognosis for successful camouflage treatment seemed to be good. The Class III skeletal relationship was mild, by comparison to the dentition. Any time the dental discrepancy greatly exceeds the skeletal discrepancy, the prognosis for camouflage treatment is better. The adage, “The better the face, the better the case” (for camouflage treatment) certainly holds true in this case. How did I choose between the two different extraction patterns, Option 2 versus Option 3? Option 2 calls for finishing with a Class I molar relationship for a successful outcome. Furthermore, this makes it a maximum anchorage situation in the mandible and minimum anchorage in the maxilla. In fact, it would be necessary to burn anchorage nearly 100% adjacent to the maxillary second premolar extraction site. If that is the case, then why extract teeth in the maxillary arch? And, if we fail to obtain a Class I molar relationship from the current Class III, the downside risk is inadequate overjet, the very problem we seek to fix. The risk of Option 2 was greater than Option 3. So, mandibular first premolars only were removed.

.018 traditional twin brackets were bonded to all of the teeth except for the mandibular molars, which were banded in anticipation of using a stiff rectangular stainless steel closing loop arch wire. Round nickel titanium arch wires were used for initial alignment, followed by rectangular arch wires of the same material. A 16 x 22 TMA arch wire was placed in the maxilla, along with a 16 x 22 SS closing loop arch wire in the mandible. Progress photos (Figure 4) were obtained at the conclusion of mandibular space closure. It is apparent at this time that there has been some loss of leveling, excess crown convergence at the extraction sites, and the need for improving the mandibular second premolar occlusion. Therefore, finishing included, dropping back to a 16 x 22 NiTi arch wire in the mandible, moving to a stiffer 16 x 22 SS arch wire in the maxilla, and adding triangular vertical elastics between the maxillary canines and mandibular canines/second premolars for settling of the occlusion. Total time in treatment was 19 months.

The FINAL facial photographs (Figure 5) show improvement in facial esthetics, as a result of a subtle decrease in lower lip protrusion. The smile is more attractive with an increase in tooth display and extrusion of the maxillary anterior teeth. This was made possible by developing positive overjet.

The FINAL intraoral photographs (Figure 6) highlight well aligned teeth, Class I canine occlusion bilaterally, and ideal overjet and overbite. Gingival revision of tooth #4 may be beneficial in the future if there is a delay in passive eruption following rotational correction of this maxillary right second premolar. Tooth #13 is more attractive.

The post-treatment panoramic radiograph (Figure 7) reveals little difference in size between the right and left maxillary second premolars, again suggesting that clinical crown length appears to be related to gingival coverage. The panorex also shows good root parallelism across the mandibular first premolar extraction sites. Root length and morphology suggest no obvious root resorption with time efficient treatment.

Figure 4
Figure 6
Figure 7
Figure 5

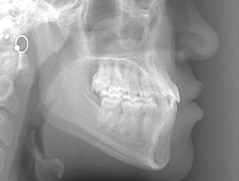
The post-treatment cephalogram (Figure 8) shows the mild skeletal Class III relationship and mild mandibular incisor compensation, not surprising even with a successful orthodontic camouflage outcome. The only way to have avoided these cephalometric findings would have been to opt for and achieve a successful surgical result. This of course is never guaranteed. Most would agree that the camouflage option was a reasonable alternative to surgery in this patient.

If you do not agree, and would have treated this patient differently, that is completely acceptable. We can, and should agree, on the diagnosis but may propose different treatment options based on our experiences and preferences. This case report is presented to illustrate one way to treat this patient and provide the rationale for such treatment.

Updates from our State Associations

Component Meeting Dates

We encourage all members to attend your state meetings! These gatherings offer an excellent opportunity to network with fellow Southern Society of Orthodontists members, engage in discussions about issues facing local orthodontists, and take advantage of valuable continuing education sessions.

Save the date for your 2025 State meeting:

Alabama February 7, 2025

Arkansas October 2025

Florida February 27 - March 1, 2025

Georgia February 21 - 22, 2025

Kansas To be announced

Kentucky August 2025

Louisiana April 12, 2025

Mississippi February 8, 2025

North Carolina January 31 - February 1, 2025

Oklahoma April 4, 2025

South Carolina March 14, 2025

Tennessee To be announced

Texas Meeting during SSO San Antonio Meeting

Virginia March 13 - 15, 2025

West Virginia July 19, 2025

Arkansas Association of Orthodontists Annual Meeting
Kentucky Association of Orthodontists Annual Meeting
Figure 8

Turn static files into dynamic content formats.

Create a flipbook
Issuu converts static files into: digital portfolios, online yearbooks, online catalogs, digital photo albums and more. Sign up and create your flipbook.