Southern Society of Orthodontists Summer 2024 Newsletter

Page 1


SSO NEWS

Welcome to issue number ONE of the SSO News! This commemorative cover with photos of members celebrates this time in our history when the Southern Association of Orthodontists and the Southwestern Society of Orthodontists began operating as ONE

SSO LEADERSHIP

Presidents

Dr. Beth Faber, Tappahannock, VA

Dr. Onur Kadioglu, Oklahoma City, OK

Presidents-Elect

Dr. Eric Nease, Spartanburg, SC

Dr. Matthew Ng, The Woodlands, TX

Secretary-Treasurers

Dr. Preston Miller, Jackson, TN

Dr. Christine Ellis, Dallas, TX

First Senior Director

Dr. Donald Balhoff, Lafayette, LA

Second Senior Director

Dr. Kyle Shannon, Tulsa, OK

AAO Trustees

Dr. Enrique Cruz, SWSO, Austin, TX

Dr. Steve Robirds, SWSO, Austin, TX

Dr. Richard Williams, SAO, Southaven, MS

Directors, The American Board of Orthodontics

Dr. Onur Kadioglu, SWSO, Oklahoma City, OK

Dr. Timothy Tremont, SAO, Charleston, SC

Editor

Dr. Jim Vaden, Cookeville, TN

Presidents' Report

Welcome to a new chapter brimming with promise and opportunity!

As of June 2024, we proudly operate under the unified banner of the Southern Society of Orthodontists (SSO).

Yes, the SWSO and the SAO have combined our separate operating platforms. This exciting journey culminated in our first joint meeting of our respective Boards which marks the beginning of a transformative era for our constituencies.

Imagine the potential unleashed by combining our strengths! Although our representation within the AAO House of Delegates remains steadfast with twelve delegates from the SAO region and seven from the SWSO region, the benefits of our joint operations extend far beyond. We are thrilled to witness the ripple effect of our unified efforts.

One of our primary goals has been to supercharge our efficiency. By consolidating administrative expenses and streamlining our executive director team, we will revolutionize our annual sessions and board meetings. This strategic reallocation of resources will enable us to elevate our programs, meetings, and services to ensure that we serve you, our members, with unparalleled dedication.

The combination of our operations has unlocked a treasure trove of opportunities for our members. Picture this: networking

with a broader range of colleagues across the United States and exploring new, captivating meeting destinations. The fusion of resources has created what can be a more dynamic experience that features renowned speakers and exhilarating events. Our 2023 joint annual session saw a surge in attendance and vendor support, a trend that we’re confident will continue to enrich your experience.

Both the SWSO and SAO have rich histories and time-honored traditions. We promise to continue to honor traditions for both constituencies. The decision to combine our operations allows us to use these strengths to share knowledge and best practices in order to create even more robust experiences. Our administrative team is now better equipped to serve you with improved meeting planning and enhanced advocacy efforts that ensure higher member engagement and satisfaction.

The decision by our constituencies to amalgamate our separate relationships into a symbiotic one is already a success story. It has captured the attention of other constituencies. The rest of the nation is watching. The action that has been taken has streamlined leadership positions within our Board of Directors and has ignited a surge of interest in leadership development among our members. We had a record number of applicants for our Leadership Class this year. Our committees have expanded, and more members will be called upon to step into leadership roles, especially within newly formed committees like the Committee on

Annual Meeting Planning (CAMP). CAMP’s success with our first combined Annual Session in 2023 at Amelia Island, Florida, has set the stage for future triumphs, including the upcoming Annual Session from September 26-28, 2024, and the 2025 meeting in San Antonio.

Our 2024 joint annual meeting will be in ORLANDO! It will be September 26-28 at Rosen Shingle Creek. This is a team event! There are lectures for both doctors and staff and fun for everyone.

Join us on Thursday afternoon for the “Roberto’s Bike Build”. Our keynote speaker, Roberto Clemente, Jr, will join us as we build 121 bikes that will be gifted to local Orlando children who need them. Please attend and help us reach our goal of 121 bikes. We hope everyone will consider the impact that can be made by participating in this heart-warming activity.

You won’t want to miss our BIG EVENT on Friday night — a Block Party with food and drinks, dancing, karaoke, and entertainment along the streets of Universal CityWalk.

Mark your calendar for September 26-28. See you in Orlando.

With enthusiasm and commitment,

Dr. Beth Faber

SSO Co-President

Dr. Onur Kadioglu

SSO Co-President

Trustees’ Report

Dr. Richard A. Williams |

Dr. Steve Robirds | Dr. Enrique Cruz

Greetings SSO, from your Trustees!

We are finally here! I will begin by reflecting on the journey on which we have been since 2017 when the discussion about combining the operations of our two associations first began.

The AAO was attempting to anticipate what governance change would look like and points raised about governance changes during the 2014 House of Delegates were discussed. It became apparent to some that a top-down approach would not be acceptable to most. Gary Inman was the Trustee from SAO and Ken Dillehay was the Trustee for SWSO.

DeWayne McCamish was the President of the AAO when the governance discussion started at the Ad-Interim meeting that year. The ensuing discussions opened the opportunity for establishment of paired committees to look at all aspects of our two associations – the SAO and the SWSO. We found that we were more similar than different.

There have been countless hours invested by a multitude of individuals to bring our two associations to the point at which we are today. We are grateful for the visionary leadership exhibited by all. As a result, we officially “combined operations” on June 4, 2024 and have held our first meeting of the executive committee. Our team of executive leadership has been unified under the ZuBu Management Solutions team, each of whom has been instrumental in shepherding us along the path. They are a wonderful team! THANK YOU Lissette Zuknick, Kelsey Bulnes, and Jaclyn Whiddon, and THANK YOU

Mollie Pillman, former SWSO Executive Director, for your assistance in the journey.

Being first in any endeavor is always challenging and this process has certainly experienced challenges. We will continue to learn as we move further in the process, but these are indeed exciting times for the SSO.

The recent House of Delegates action at the Annual Session in New Orleans has enabled the AAO to position itself for the future with some major investments. The first of these initiatives is for Tech Transformation. The allocation for this series of improvements to our tech infrastructure required a significant infusion of dollars over the next three years and the HOD increased our allocated assets in this category to 3.25 million dollars. The first of these investments will be to upgrade our association management platform which has outlived its useful life. We will also upgrade our financial management platform and between these two major investments, improve how we engage our members for a more seamless experience.

There are two other major components of Tech Transformation. Dr. Robirds has led the effort to examine how we provide education for our members. He led a task force with our team in St. Louis and Tagoras, a consulting firm engaged for the analysis, to examine, plan, and recommend how we improve our future educational offerings. This is an extremely important endeavor for us, because AAO must continue to be viewed as the best and most trusted provider of high quality education for the orthodontist and the orthodontist’s teams. The final major component of Tech Transformation will be an investment into

Continued on next page...

Trustees’

Report -

Continued from page 3

AI and its appropriate application for orthodontics. Because AI is a new arena, we will have to anticipate how to use it for better engagement of our members and in many other ways that are probably yet unknown. I am a little partial to the next major investment because of its impact on the future education of residents. We all are aware that attracting new and young faculty continues to be difficult. The AAO has funded out of reserves a program called the Full-time Faculty Teaching Fellowship. It has been highly successful. 87.5% of individuals who have received these awards remain in academics. A number of them are Program Directors and/or Chairs. To be funded from reserves leaves this Fellowship susceptible to financial hardships. Our desire is to make the funding permanent and ongoing. The HOD unanimously passed a resolution to provide $1.8 million dollars from AAO’s undesignated net assets. The AAOF will raise an additional $1.8 million over the next three years to match AAO’s 1.8 million. The principal will be $3.6 million. A 5% return will allow the program to fully sustain itself at our current level of usage. My hope is that this is a wildly successful venture and that the $3.6 million becomes the floor of the project with a high ceiling for us to invest into the next generation of faculty.

I will be excited to see each of you when we reconvene in Orlando this fall in our first official meeting as the Southern Society of Orthodontists. Please mark your calendars and make your reservations for what will be another great event! I am certain that I speak for Steve and Enrique when WE collectively express our gratitude for the privilege of serving you in our great association!

This report was written by Dr. Richard A. Williams, SAO Trustee, in consultation with Dr. Steve Robirds, SWSO Trustee, and Dr. Enrique Cruz, Trustee at Large.

AAO Delegate Chairmen's Report

The 2024 Annual Session and the AAO House of Delegates sessions were held in New Orleans on May 3-6.

The nearly perfect weather had no snow flakes like we had in 2023! The proceedings of the House of Delegates and associated activities throughout the 4 days flowed like clockwork due to the efforts of the AAO senior staff and constituent Executive Directors.

There were approximately 40 resolutions at the outset of the docket that were seamlessly processed by negotiations amongst the Delegation Chairs & Board of Trustees, Reference Committees and the 2nd meeting of the House. The final budget of $20,384,244 was adopted. This amount was slightly less than last year. There was no increase in dues. The assessment for the Consumer Awareness Program remained at $600 per member for a CAP budget of $5 million.

The crowning jewel of this House session was the establishment of a program to continue funding for the Full-time Faculty Teaching Fellowship Award Fund. The House authorized $1.8 million as seed monies to be matched by an AAOF fund raising campaign. This Fund will be managed by the AAOF. After the $3.6 million principal is raised, funding for faculty awards will come from this fund’s generated interest and no longer from the AAO budget. It is hoped this

program will continue in perpetuity as the Fund enjoys investment dividends. This program emphasizes the AAO’s commitment to our specialty’s education.

A new schedule was adopted for the 2025 House of Delegates. The 1st House session and associated activities will start on a Thursday instead of on a Friday while the 2nd House session with its activities will occur on a Sunday instead of a Monday. This schedule, unless changed, is planned for all years to come.

The AAO has fallen a bit behind on infrastructure and technology systems that are related to our website, internal operations, advances in AI and so forth. The House authorized $1M from undesignated assets, and coupled with cost savings from other projects, approved $3 M to begin upgrades in the above mentioned areas.

SAO AAO Delegation

An initiative from the Special Committee on Constituent Collaboration, SC3, requested funding to help constituents with housing costs for delegates at the annual House of Delegate’s session. Reference committee deliberations ultimately recommended $67,200 to be allocated to the constituents to help defray housing costs. This resolution was adopted.

In keeping with a desire to decrease waste, our Council on Orthodontic Practice along with GLAO & MASO offered a resolution on sustainability, otherwise known by this author as recycling. The recommended program was for the AAO to partner with a vendor that specializes in recycling plastics. The request was for $26,000 to implement a voluntary program for all AAO member practices. For $165, an office can purchase

a box into which patients can deposit their worn clear plastic aligners/retainers to be recycled. This fee would cover shipping to and from the office. However, appliances in the mouth have been declared a class II medical device which brings a separate set of regulations. After much debate, this initiative was referred to the Business Development Committee for further investigation.

The AAO enjoys an 86.4% market share membership of all US orthodontists. This is admirable, but it demonstrates room to grow. A pilot program that has been designed to encourage non-members to join will be implemented. The focus will be on those orthodontists 5 years out of their training program. This amounts to several hundred of our colleagues. Those interested will be able to join over a 2 year period in a pay back dues program. It should be evident after just one year if this is a worthwhile endeavor.

The SAO was happy to welcome 2 new delegates. Dr. Jason Kaplan from Georgia has replaced our dear colleague and highly respected friend, Dr. Robert Moss. Robert, you are missed and admired. Our New and Younger Member serving as an alternate is Dr. Kyla Swearingen. At the same time, we say “thank you” to Dr. Brandon Chadwell and Dr. Corbin Turpin as they rotate off the delegation roster. The SAO and AAO commends you for years of commitment and tireless service to the House of Delegates. Finally, Dr. Beth Faber has served at her last House of Delegates, but we are blessed to have her leadership until the end of September 2024.

The SWSO welcomed 5 new delegates this year. Dr. Scott Hubbard from Oklahoma and Dr. Mike Ragan from Texas served their first year as a delegate. We also have Dr. Onur Kadioglu, our SWSO President from Oklahoma, serving as an alternate delegate. From Texas we also had Dr. Darshit Shah and Dr. Chris Cramer as alternate delegates. Completing their second terms on the delegation were Dr. Justin Power from Oklahoma, Dr. John Wise from Texas, and Dr. Joe Moon from Kansas. We thank all of these delegates for their commitment to our constituency and the AAO and wish the best to those rotating off the delegation. We look forward to the 2025 HOD with Dr. Matthew Ng as our delegation chair.

Dr. Jeff L. Rickabaugh

SAO Delegation Chair

Dr. Justin Power

SWSO Delegation Chair

SWSO AAO Delegation

AAOF Report

New Board President

Lili Horton (PCSO/HI) began her term as AAO Foundation Board President at the conclusion of the AAO Annual Session in New Orleans. Dr. James Klarsch (MSO/MO) is the new President-Elect.

New SAO Board Director for AAO Foundation

Dr. Neal Kravitz will take on the role of the SAO Representative on the AAO Foundation Board of Directors. He will attend his first board meeting this July. He will fill the vacancy created by Dr. Wanda Claro’s term ending. He will join Dr. Normand Boucher (MASO) and Dr. J. Martin Palomo (GLAO) as newly elected constituent directors.

AAO Foundation National Vanguard Society Chair

Dr. Mark Berkman (GLAO) steps into his new role on the AAO Foundation Board as the National Vanguard Society Chair. He will work with residents and educating them on charitable giving through the AAO Foundation.

AAO Foundation Board Welcomes Two Resident Directors

Dr. Jenna Schneider (West Virginia University Resident) is a graduate of the NYU College of Dentistry, where she earned her Doctorate of Dental Surgery. After Dr. Yuna Park (New York University Resident) graduated from Emory in Atlanta, she earned a Master’s in Biotechnology from Johns Hopkins University and a DDS and MPH from Columbia University.

AAO Foundation Offers Virtual Workshop for Grant Applicants

Members of the Planning and Awards Review Committee (PARC) will facilitate a virtual workshop offering tips and advice to those interested in applying for a 2025 AAOF Grant Award on June 7. Registration is required. Grant applications are due by 5pm on October 11, 2024.

Gifted

Smiles Rebrand, New Program Administrator and Call for Volunteers

The Gifted Smiles Program, formerly Donated Orthodontic Services (DOS) has completed a rebrand and welcomed a new program administrator, Tabitha Smith. As this program continues its growth, please consider volunteering to provide services to children in your area who lack access to orthodontic care.

Fred Garret Resident Gift Program: AAO

328 residents took advantage of the opportunity to receive a $400 Fred Garret resident gift to attend the New Orleans AAO meeting.

Dr. Wanda Claro

AAOF Awards

The following members were recognized at the AAOF Award Ceremony held at the AAO Annual Session in New Orleans.

Dr. Eric Nease

2024 Eugene & Pauline Blair Distinguished Service Award

Dr. Ken Dillehay

2024 Raymond George, Sr. Award for Outstanding Gifted Smile Volunteer Service

Pictured left to right - Melody Nease, Dr. Eric Nease, Dr. Alex Thomas
Pictured left to right - Dr. Ken Dillehay and Dr. Spencer Pope

AAO Political Action Committee Report

Happy “end of summer” fellow SSO members!

Wow! This past year has been monumental for Advocacy and the AAO. To celebrate its 30th year anniversary, the AAOPAC set a goal of $430,000.94 to commemorate its anniversary and the year 1994 in which it was created.

The AAOPAC raised $473,942.89, 110% of its goal. SSO members continue to lead the way with their support of the AAOPAC. Congratulations!

We still fall short with the number of contributors. Nationally, we set a goal of 1303 members but had 871, only 67% of the goal. It is very important that we have not only the monetary backing, but we must also document that a majority of members support the AAOPAC.

Our National Advocacy Network has been busy. It has helped create language in states’ laws that provides better care for our patients. In Florida, Governor DeSantis signed HB855 into law. HB855 uses AAO’s model teledentistry language that includes these points:

• Requires every dentist and certain individuals, partnerships, corporations, and other entities to provide specified information to certain patients

• Requires a dentist of record to remain primarily responsible for all dental treatments for a patient treated with telehealth

• Requires advertisements of dental services provided through telehealth to include a specified disclaimer for certain dental services, etc.

• Creates a standard of care for orthodontics that includes an inperson examination and review of x-rays prior to the movement of teeth

In Georgia, AAO advocacy helped construct language for HB441 that included AAO language for teledentistry that passed both the House and the Senate. However, it was eventually vetoed by Governor Kemp, who stated his concern that the bill may have inadvertently removed access to advice for emergency care from teledentistry services. Currently, language is being considered for a teledentistry bill in South Carolina.

This type of progress can only occur because of support for our advocacy team and the AAOPAC from you. Please consider donating to the AAOPAC. The best way to do so is to set up monthly deductions that are comfortable for you. Every dollar adds up. Thank you to the AAO advocacy team and all the PAC captains and Component Advocacy Liaisons across the SSO. Thank you for your hard work.

Please visit AAOPAC.com to donate and text NAN to 52886 if interested in any volunteer or leadership position with our National Advocacy Network.

This report was co-authored by Dr. Ed C. Davis, SAO, and Dr. Jeff Genecov, SWSO

The American Board of Orthodontics 2024 Constituency Report | May 2024

The ABO is committed to upholding our mission to elevate the quality of orthodontic care for the public by promoting excellence through certification, education, and professional collaboration.

AB0 Annual Update

The ABO is proud to announce that 63% of AAO orthodontists are now board certified.

Written Examination Update:

The 2024 ABO Written Examination was administered to 443 examinees on April 2, at Pearson Vue Testing Centers in the U.S. and Canada. The examination had a 99% pass rate.

The next Written Examination is scheduled for April 9, 2025, with online registration scheduled to open November 6, 2024. Applicants must have graduated or be currently enrolled in an advanced specialty education program in orthodontics and dentofacial orthopedics in the U.S. or Canada, accredited by CODA. Orthodontic residents must have completed 18 months of their program by the Written Examination date to be eligible to take the exam.

Scenario-based Clinical Examination Update:

The ABO February 2024 Scenario-based Clinical Examination was conducted February 22-23 at Pearson-Vue Testing Centers Worldwide. 329 orthodontists were certified during the 1st and 2nd Quarters of 2024, including the February examination, which had an 89% pass rate. In addition, 21 orthodontists completed their 10year certification renewal requirements. Please visit the ABO website for a complete listing of names by constituency for this time period.

The next Clinical Examination is scheduled for Sept. 17, 2024, at Pearson-Vue Testing Centers. Online registration is available through June 20, 2024 (or until all available slots are filled).

Beginning in 2025, the ABO will transition to offering one Scenario-based Clinical Examination per year, to be held in the fall. The scheduled date for the 2025 examination is September 17. Online registration is scheduled to open September 18, 2024.

An orthodontist must first successfully complete the ABO Written Examination before taking the Scenario-based Clinical Examination. Preparation materials for the examination, including study guides and samples cases, along with how to register are located on the ABO website.

Certification Renewal Examination:

Certification Renewal is required every 10 years to maintain an active board certification status and may be started no earlier than 36 months prior to the expiration date printed on the individual’s certificate. For individuals whose board certification is set to expire within the next 3 years, communications are distributed throughout the year as a reminder to recertify. There are two options to complete the examination which include one online Board Case Examination or a Mail-In Case Report Examination, both which also require the completion of continuing education credits from online AJODO examinations. Please visit the ABO website for materials to help you prepare for the examination.

Please contact the following ABO staff members should you have questions on any of the ABO examinations:

Written Examination Certification Coordinator Nicole Huson Nicole@AmericanBoardOrtho.com

Clinical Examination Coordinator Kim Koch Kim@AmericanBoardOrtho.com

Educational Update:

• The ABO Pathway Program continues to evolve with 16 Ambassadors selected, representing all 8 constituencies. These individuals received training from ABO Directors and staff during the 2024 AAO Annual Session. This new program replaces the former ABO Advocacy Program and will consist of in-person (or virtual) presentations by ABO Ambassadors as requested by orthodontic programs to discuss the pathway to board certification and the value it contains both personally and professionally. The program’s soft launch is scheduled for June 2024.

• The AAO recently put out a call for nominees for an upcoming national volunteer position on the CODA Review Committee on Orthodontics and Dentofacial Orthopedics Education to fill the role of the AAO/ABO joint representative.

• The ABO Executive Committee attended the AAO Winter Meeting in San Antonio, TX.

• The incoming ABO Executive Committee, along with Carole Newport, CEO, attended the February 2024 ASAE CEO Meeting in San Diego, CA. The meeting provided opportunities to brainstorm future strategic goals and objectives.

• ABO Directors participated in the 2024 CDABO March Meeting in Savannah, GA.

• The ABO is focusing on 2024 marketing efforts to include development of a professional photo library for use on the ABO website, social media campaigns and communications.

• The ABO has added an “Across the Board” blog on our website. Timely updates and important news will now be shared via this communication method.

• Board Certified Orthodontists have access to valuable tools and resources located on their ABO personal dashboards in communicating their board certification achievement. Customizable brochures, videos, patient/team materials, window clings, sample website copy, Brand Standards Guide and ABO seal and logo designs are just a few of the items available.

• Please follow the ABO on social media for news and updates:

https://www.facebook.com/ americanboardoforthodontics

https://www.instagram.com/ americanboardorthodontics.

2024-2025 ABO Directors:

The ABO Directors for the 2024-2025 year are as follows:

• Dr. Jae Hyun Park - President, representing the Pacific Coast Society of Orthodontists

• Dr. Roberto Hernandez-Orsini - PresidentElect, representing the Middle Atlantic Society of Orthodontists

• Dr. P. Emile Rossouw - Secretary-Treasurer, representing the Northeastern Society of Orthodontists

• Dr. Anthony Puntillo - Director, representing the Great Lakes Association of Orthodontists

• Dr. Daniel J. Rejman - Director, representing the Rocky Mountain Society of Orthodontists

• Dr. Meenakshi Vishwanath - Director, representing the Midwestern Society of Orthodontists

• Dr. Tim Tremont - Director, representing the Southern Association of Orthodontists

• Dr. Timothy Trulove - Immediate Past President, representing the Southern Association of Orthodontists

The AAO House of Delegates confirmed Dr. Onur Kadioglu as the Director who will represent the Southwestern Society of Orthodontists. In addition, the AAO House of Delegates confirmed Dr. Timothy Tremont as the Director who will represent the Southern Association of Orthodontists.

ABO at the 2024 AAO Annual Session

The ABO was pleased to recognize the 2024 award recipients during the ABO 2024 Awards Night in New Orleans, LA. Congratulations to the following individuals:

• Dr. Peter M. Greco - Albert H. Ketcham Memorial Award

• Dr. Allen H. Moffitt - Dale B. Wade Award of Excellence in Orthodontics

• Dr. Eladio DeLeon, Jr. - Earl E. and Wilma S. Shepard Distinguished Service Award

• Dr. Leslie A. Will - O.B. Vaughan Special Recognition Award

The award recipients for 2025 were announced. These individuals will be recognized during next year’s 2025 AAO Annual Session in Philadelphia, PA. Congratulations!

• Dr. David Sarver - Albert H. Ketcham Memorial Award

• Dr. Scott Jamieson and Dr. Larry Tadlock

- Dale B. Wade Award of Excellence in Orthodontics

• Mrs. Melissa Brydels - Earl E. and Wilma S. Shepard Distinguished Service Award

• Dr. Jim Henderson - O.B. Vaughan Special Recognition Award

The ABO hosted the following events during the 2024 AAO Annual Session in New Orleans, LA:

• ABO Ambassador Training took place in preparation for the launch of The ABO Pathway Program.

• The ABO Booth was located inside the Exhibit Hall within the AAO Pavilion. ABO Directors and staff were available to answer questions, promote board certification, and receive feedback. Newly Board-Certified orthodontists were invited to stop in to celebrate their achievement and receive a special gift.

• The ABO attended the New and Younger Member Conference and manned a booth to provide information on board certification to attendees.

• Several ABO Directors were speakers on various topics during the AAO 2024 session.

• ABO Appreciation Breakfast was held to thank ABO Emeriti, current year ABO Examiners and ABO Ambassadors for their continued support and dedication to board certification.

Dr. Timothy Trulove

ABO Announces Newly Certified/Recertified Orthodontists

The American Board of Orthodontics (ABO) granted certification to 329 orthodontists during the first and second quarters of 2024, including the February Scenario-based Clinical Examination, while another 21 orthodontists completed their 10-year certification renewal requirements. ABO Board Certification is a voluntary credential that represents an orthodontist’s personal and public commitment to the standards of specialty practice and lifelong learning.

Attaining first-time ABO certification requires successful completion of the Written Examination and then the Clinical Examination. Orthodontists gaining recertification must successfully complete the Recertification Examination and requirements.

“ On behalf of the American Board of Orthodontics, I congratulate the orthodontists who have recently completed the Board certification or certification renewal process. They are to be commended for their professional commitment by becoming Board certified, and it demonstrates their willingness to protect the public through the delivery of excellent orthodontic care. ”

– Dr. Timothy Trulove, ABO 2023-24 president

The ABO currently represents 63% of AAO membership.

To learn more about ABO certification and the Scenario-Based Clinical Examination, visit www.AmericanBoardOrtho.com. The website offers information about the Clinical and Written Examinations, including study aids and registration information.

The following newly certified or recertified orthodontists are listed regionally by constituent society of the American Association of Orthodontists.

Southern Association of Orthodontists

Newly Board Certified

Dr. Ethaar Al Ibrahim

Dr. Elena Alexiev

Dr. Maryam Radhi Alfardan

Dr. Najla Aedh Alfayi

Dr. Halima Almishari

Dr. Ahmed Alqarni

Dr. Stephanie Lynnell Amerson

Dr. Benjamin Thomas Anders

Dr. Bryan Keith Blankenship

Dr. Michael Thomas Bocklet

Dr. Colby Bradford

Dr. Thomas Parker Brown

Dr. Samantha Zavada Cardinal

Dr. Kayla Carr

Dr. Diana Marie Carvel

Dr. Karunesh Chakote

Dr. Victor Chan

Dr. Jihae Cho

Dr. Stephanie Marie Companioni

Dr. Chiara Catherine Contreras Romanelli

Dr. Payton Cook

Dr. Justin Darley

Dr. Meng Deng

Dr. D. Michael Ellis

Dr. Onni Franco

Dr. Krystal Gage

Dr. Yamini Balwani Gopani

Dr. James M. Hancock

Dr. Belal Heddaya

Dr. Juan Carlos Hernandez

Dr. Mandi Hirsch

Dr. Rachel Katherine Huffman-Weaver

Dr. Jennifer Lynn Huynh

Dr. Nidhi Kadakia

Dr. Rana Khouj

Dr. Hy Trong Le

Dr. Aya Mansour

Dr. Spencer Michael Mathews

Dr. Caylin McCullough

Dr. Raymond L. McLagan

Dr. Chloe Meriwether

Dr. Adriana Morales Buendia

Dr. Darren Morgan

Dr. John Perry Nuveen

Dr. Nicholas D. Palmer

Dr. Bhumika Patel

Dr. Deshek Patel

Dr. Chantol Peterkin

Dr. Scott Philips

Dr. Amy B. Poblenz

Dr. Daniel Popper

Dr. Hayden Kendrick Rathel

Dr. Shannon Rea

Dr. Jordan Ringer

Dr. Ali Rouhi Nozadi

Dr. Lea Sarment

Dr. Matthew Issa Sawaged

Dr. Elizabeth Sciarrino

Dr. Jeffrey M. Segnere

Dr. Shubham Sharma

Dr. Christopher Y. Shi

Dr. Yahaziel Simon

Dr. Sayalee Singh

Dr. Marissa Solares

Dr. Jerry Don Spillers III

Dr. James Stephen Stotts

Dr. Beatriz Tejera Summey

Dr. Kyla Swearingen

Dr. Cameron Togrye

Dr. Jaime A. Valencia

Dr. Morgan VerHage

Dr. Michael Eli Vracar II

Dr. Ian Montgomery Weaver

Dr. Jonathan Wells

Dr. John Wilson

Recertified

Dr. Matthew S. Ahrens

Dr. Nebras M. Althagafi

Dr. Daniel J. DiBagno

Dr. Calogero Dolce

Dr. Renee A. Dyken

Dr. Rachel K. Feinstein

Dr. Patrick B. Holmes

Dr. Tate H. Jackson

Dr. Elizabeth M. Jones

Dr. Dalia E. Meisha

Dr. Ashley Smith

Dr. Michael C. Woods

Southwestern Society of Orthodontists

Newly Board Certified

Dr. Eric Bortnem

Dr. Anthony Brian Decker Jr

Dr. Victoria Diggs

Dr. Steven Elliott

Dr. Brock Frazee

Dr. David B. Greene

Dr. Kimberly L. Hanysak

Dr. Benjamin Harvey

Dr. Chi K. Huynh

Dr. Helder Baldi Jacob

Dr. Shabnaaz Kamal

Dr. Kayla Michelle Lammert

Dr. Alexandros Maliotis

Dr. Simi Mathur

Dr. Elida Meyer

Dr. Christine Nguyen

Dr. Jaanki R. Patel

Dr. Alexis Rose Polczynski

Dr. Reid Risinger

Dr. Taryn Ann Slepicoff

Dr. Ali Sohraby

Dr. Justin B. Trimmell

Dr. Brittany Trinh

Dr. Avery Elizabeth Valls

Dr. Addison Lee Walker

Dr. Debbie Yeh

Recertified

Dr. Gaurang H. Chaudhary

Dr. Sooyoun Chung

Dr. Mason W. McClintock

Dr. Hidayat R. Nagori

Dr. Kaveh Najibfard

Dr. Jaime Rivera

Dr. Ryan J. Theobald

Dr. Eladio DeLeon, Jr.
2024 Earl E. and Wilma S. Shepard
Distinguished Service Award
Dr. Allen Moffitt
2024 Dale B. Wade Award of Excellence in Orthodontics
Pictured left to right - Dr. Roberto Hernandez-Orsini, Dr. Eladio DeLeon, Jr. and Dr. Timothy Trulove
Pictured left to right - Dr. Anthony Puntillo, Dr. Allen Moffitt and Dr. Timothy Trulove

Dr. Timothy Tremont Elected to the Board of Directors of The American Board of Orthodontics

Timothy J. Tremont, D.M.D., M.S., of Charleston, S.C., has been elected to the Board of Directors of The American Board of Orthodontics (ABO). The election took place during the American Association of Orthodontists (AAO) House of Delegates meeting in conjunction with the 2024 AAO Annual Session May 3-6 in New Orleans, La.

The ABO directors are responsible for establishing policy with regard to the board certification of specialists in orthodontics. Each ABO director represents one of the eight constituent organizations of the AAO and serves an eight-year term, which culminates in the position of president. Dr. Tremont, who represents the Southern Association of Orthodontists (SAO), will become president of the ABO in the 2031-2032 year.

Dr. Tremont is professor and head of orthodontics in the Department of Advanced Specialty Sciences at the Medical University of South Carolina, where he has led the program since 2017. He previously served on the faculty in the orthodontic residency program at West Virginia University School of Dentistry from 2000-2017. He maintained a private practice in orthodontics in White Oak, Pa., from 1980 to 2017.

After obtaining his doctorate in dental medicine from the University of Pittsburgh, Dr. Tremont earned his master of science degree and certificate in orthodontics from the University of Buffalo. His undergraduate degree is from the University of Pittsburgh. He also holds certificates in academic health care administration, management, financial management and leadership from West Virginia University.

Dr. Tremont was certified by The American Board of Orthodontics in 1989 and recertified in 2022.

He has designed and developed devices including the Cantilever Wrap Around Appliance, the Tridimensional Orthognathic Gauge (TOG) and the Arch Symmetry Chart, along with the Four Faces of Orthognathic Surgery® method. He has given over 170 presentations on orthodontics and orthognathic surgery internationally.

Dr. Tremont is a Fellow of the American College of Dentists and a member of the College of Diplomates of the ABO. He is a member of the American Association of Orthodontists, the American Dental Association, the American Cleft Palate-Craniofacial Association and the International and American Associations of Dental Research.

He is a reviewer for the Asian Pacific Orthodontic Society Journal, the Journal of Oral and Maxillofacial Surgery, Wiley Publishing Company, the Dental Press Journal of Orthodontics, the Journal of the World Federation of Orthodontists, The Angle Orthodontist, BMC Oral Health and Springer Nature.

On being elected to the ABO board, Dr. Tremont said,

“ It is an honor and truly a privilege to have been elected to the board of directors of the American Board of Orthodontics. I very much look forward to serving on the board and contributing to the mission of the board of setting the standard for the highest level of patient care and promoting excellence in orthodontics. To join the current group of directors is very humbling and I am committed to devoting my time and efforts to collaborating with them.”

PART

Parliamentary Pearls

Privileged Motions

Privileged motions do not relate to the pending business but when moved, take priority over any main motion or pending subsidiary motions.

This special class of motions deals with basic member rights, actions that require immediate attention, and actions of the assembly as a whole. These motions affect the comfort or convenience of the assembly or one of its members.

There are 3 privileged motions, listed below in order of priority:

• Motion to Adjourn

• Motion to Recess

• Question of Privilege

Raising a Question of Privilege allows a single member to request immediate action that affects safety, health, security, comfort of integrity. The presiding officer acts on a request, or allows the assembly to consider a motion, in order to meet an immediate need or emergency. Examples of Question of Personal Privilege could be:

• It is too noisy and request all who speak to use microphone.

• The content of this discussion is proprietary or too personal and move that this assembly go into closed session.

• The assembly hall is too hot, or poorly lit, or the screen is too difficult to see and so forth.

• Additional chairs are needed if all delegates are to be seated.

Typically, the presiding officer will directly act on a Question of Privilege without requiring a vote (majority) from the assembly. The Question of Privilege can interrupt the Speaker, is not debatable and is not amendable.

The second highest ranking motion is the Motion to Recess. The Motion to Recess orders an immediate break in a meeting and usually sets a definite time or event for the meeting to resume. The duration of a recess is usually brief, but there is no definite limitation on its length. The Motion to Recess is typically requested to allow a small group to confer or for certain members or Board members or Special Staff to obtain specific information to share with the assembly, or for the Speaker to confer privately on a special issue.

The Motion to Recess cannot interrupt a Speaker, requires a second, is debatable with restrictions and requires a majority vote. Amendments are limited to the time to reconvene or the duration of the recess. Finally, the Motion to Recess takes priority or precedence over all motions except to Adjourn.

The last privileged motion to be explained is the Motion to Adjourn. It has the highest priority or precedence. The Motion to Adjourn can be offered for one of two reasons: to end

a meeting or convention, or to end a meeting or convention and to set a time for a continued meeting.

When a main motion is pending, the Motion to Adjourn takes precedence over all other ranked motions if it takes effect immediately. The Motion to Adjourn terminates the meeting, requires a second, is not debatable, requires a majority vote, but it may be amended to establish a time and place for the current meeting to continue.

When a Motion to Adjourn is made, it is the duty of the presiding officer to see that no important business is overlooked before stating the motion. If the presiding officer knows of any important matter that has not been considered and requires action before adjournment, it should be called to the attention of the assembly. Finally, a Motion to Adjourn during voting is out of order.

References: Cannon’s Rules of Order; Hugh Cannon, 1992. American Institute of Parliamentarians Standard Code of Parliamentary Procedure, 2nd Edition, 2023.

2024 Resident Grant Awards

The Scientific Affairs Committee for the Southern Association of Orthodontists completed their review of the 2024 Resident Grant applications. We are pleased to announce the following received a grant toward their research efforts.

Jacksonville University

Perception of Orthodontist based on scrub color (Andrew Berhold)

The Relationship Between Class III Malocclusion and Movement of the Upper Lip During Speech Production (Carolina Garcia)

Louisiana State University

Shear Bond Strength and Tie Wing Fracture Strength of 3D-Printed Orthodontic Resin Brackets (Steven Christensen)

Nova Southeastern University

Effect of Micro and Nanoparticles Released from the Degradation of Orthodontic Elastomers on Oral Keratinocytes (Austin Chikamoto)

University of Alabama

An evaluation of preventive dental behaviors among orthodontic patients based on the Health Belief Model (HBM) (Maryam Baghizadeh Fini)

University of Florida

Retrospective Evaluation of Factors Affecting the Survival Rate and Durability of Palatal TADS Used for Maxillary Expansion - CBCT Study (Brittany Morgan)

The Effect of Clinical Consultation Methods on the Acceptance of the Invisalign Treatment Plan (Chris Enger)

Pain-related Medical Conditions and Opioid Use Across Socioeconomic Ranks (John Neubert)

Influence of an Incisional Pain Model on Gene Expression and Regulatory Networks in the Habenula (Monique Nguyen)

A randomized clinical trial to compare the influence of optimized attachments, IPR and a combination of both techniques on the rotational accuracy of canines with clear aligners (Shyamaly Premaraj)

University of Kentucky

Accuracy of three-dimensional soft tissue predictions in orthognathic surgery using virtual surgical planning and patient-specific implants (Mohamed Mohamed)

Comparison of the periodontal status and oral microbiome among volunteers treated with clear aligners and conventional orthodontics (Sadie Cohen)

Effectiveness of Bromelain Supplement in Reduction of Facial Swelling Caused by Orthognathic Surgery (Emma Palmer)

Pain Intensity Following the Placement of Orthodontic Separators in Healthy Volunteers and How it Correlates to Different Levels of Physical Activity (Aqib Shafi)

Comparison of Chronological Age to BMI and Dental Development in Males of Different Ethnic Groups (Zachary Smith)

University of North Carolina

Management of Parafunction during Orthodontics: A Survey of Providers (Isaac Feinn)

Effects of Animal-Assisted Therapy on Anxiety in Pediatric Dental Patients(Bethany Doolittle)

Improving Spatial Resolution of low-dosage CBCTs through Neural Networks (John Nelson)

Tooth autotransplantation: Current awareness, utilization and treatment considerations among US orthodontists and pediatric dentists (Brian Schafer)

Longitudinal Outcomes of Bone Anchored Maxillary Protraction (Amol Shah)

Evaluating the effects of orthognathic surgery on speech in patients with anterior open bite (Julia Tobin)

Virginia Commonwealth University

Perceived patient satisfaction and compliance with clear aligner therapy during treatment (Luke Fischer)

The Accuracy and Predictability of Tooth Movement with Artificial Intelligence-Based Clear Aligners (Christina Gordon)

Social Anxiety: What role do orthodontists and pediatric dentists play in this epidemic? (Kurtis Hauck)

Value-Based Care: The Sentiment of Orthodontists toward Adopting a Value-Based Care Model (Stephen White)

West Virginia University

Assessing three-dimensional surgical accuracy between virtually planned and actual surgical movements of the maxilla in orthognathic surgery using the Tri-dimensional Orthognathic Gauge (Allison Fritz)

Comparison of Methods Diagnosing Maxillary Transverse Discrepancy (Madison Smith)

Esthetic optimal position of maxillary central incisors in relationship to the forehead in adult African American males (Tamana Spingher)

Committee on Annual Meeting Planning Update

Committee on Annual Meeting Planning (CAMP) visits San Antonio to plan 2025 Annual Session

The Committee on Annual Meeting planning recently conducted a successful site visit to San Antonio, Texas, in preparation for the 2025 Annual Session. This visit marks a crucial step in ensuring a well-organized and engaging event for all members.

During the trip, the committee explored several potential venues and local attractions for group events and activities. Committee members toured the facilities of our host hotel, Grand Hyatt San Antonio River Walk, to ensure the space meets the needs of our members and exhibitors. Attendees will have the opportunity to easily stroll along the scenic River Walk, tour The Alamo, and enjoy the local shops and restaurants.

Additionally, CAMP spent time finalizing details for our upcoming meeting in Orlando. The committee is dedicated to creating memorial and impactful events for all members.

We look forward to seeing you in Orlando, September 26-28, 2024.

Save the date to join us in San Antonio, November 6-8, 2025.

Dr. John Metz

2024 Chair

Dr. Theresa Coleman

2025 Chair

Pictured above, left to right - Dr. Eric Nease, Dr. Theresa Coleman, Dr. Don Wilcoxon, Dr. Jim Martin, Dr. John Metz, Dr. Kyla Swearingen, Dr. Eric Park, Dr. Sundaralingam Premaraj, Dr. Matthew Ng - visit Sea World San Antonio.

Pictured on the left, CAMP members and Co-Presidents visit the Alamo and the San Antonio River Walk.

Pictured below, SSO Co-Presidents Drs. Eric Nease and Matthew Ng in front of the Alamo.

How Would YOU Treat This Patient?

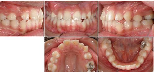
A healthy 13 1/2 year-old Asian girl was referred by her general dentist. Interestingly, this general dentist provides most of the orthodontic treatment for his patients, including comprehensive fixed appliance therapy. The patient presented without any primary teeth. However, the permanent maxillary second molars, right canine, and left second premolar were unerupted. It was obvious that there was a significant maxillary arch length insufficiency. All permanent mandibular teeth were present, along with mild crowding in this arch. The patient’s oral hygiene was excellent, as was her overall dental health. Orthodontic treatment was recommended, beginning with the collection of INITIAL records and treatment planning.

The INITIAL facial photographs (Figure 1) show a reasonably wellbalanced face in both frontal and profile appearance. The lips are mildly protrusive and barely competent. Upon smiling, the maxillary midline is slightly to the right of the mid-facial axis. The mandibular dental midline is another 1mm to the right of the maxillary dental midline. The vertical position of the maxilla and tooth display are within the range of normal.

The panoramic radiograph (Figure 3) reveals transposition of the roots of the maxillary right first premolar (#5) and the adjacent unerupted canine (#6). As it turns out, this finding prompted the referral from the general dentist. Tooth #13 is mechanically obstructed and appears to be displaced transversely. The ‘shovel-shaped’ maxillary incisors with their prominent proximal lingual ridges are also apparent on the panoramic radiograph.

The cephalometric radiograph and analysis (Figure 4a and Figure 4b) confirm a near-Class I skeletal relationship, but a severe skeletal open bite pattern, ANB ~3, SN-MP ~48, and Y-Axis ~76. Measurement of incisor position independent of any Sassouni lines, U1-NA and L1-NB, suggest normal-to-slightly proclined anterior teeth.

The INITIAL intraoral photographs (Figure 2) highlight the disparity in crowding between the maxillary and mandibular arches, as mentioned above. The right molar relationship is Class I; the left molar relationship is strong Class I. The left canine relationship is Class III. There is minimal depth of bite and no canine guidance in lateral excursions.

Figure 4a and 4b: Initial cephalogram, cephalometric values, and tracing
Figure 1: Initial facial photographs
Figure 3: Initial panoramic radiograph
Figure 2: Initial intraoral photographs

How would YOU treat this patient?

Treatment Planning

The most difficult treatment planning decision involves the transposition of the maxillary right first premolar and canine. If non-extraction treatment is proposed in the maxillary right quadrant, is it better to move the first premolar mesially to the canine position and accept the transposition? Or, could the buccally displaced canine be successfully moved to its proper position? If extraction therapy is proposed in this quadrant, which tooth should be extracted? The midline must be respected, as both the upper and lower dental midlines are slightly to the right of the mid-facial axis. Which of the following options would YOU choose?

Option 1:

Non-extraction treatment, by opening space for the maxillary left second premolar and the maxillary right canine prior to eruption of the second molars. Class III elastic traction will be required to finish with a Class I molar relationship bilaterally. You must also decide if the transposition will be accepted or corrected. This is the wild card. Most would at least agree that attempting to correct the transposition increases overall uncertainty and treatment time. The prognosis becomes more guarded.

Option 2:

The Treatment Plan Chosen

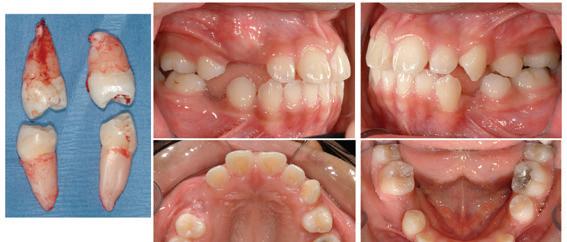
The non-extraction option was dismissed for numerous reasons, one of which was the patient’s increased skeletal vertical dimension and minimal overbite. Advancement of the incisors was contraindicated, and the transposition of teeth in the maxillary right quadrant remained a treatment planning dilemma. Extraction of teeth in the left quadrants only was a serious consideration, as it would not risk incisor advancement and bite opening to the same degree as the nonextraction option. It would resolve the mandibular crowding, correct the left Class III canine relationship, and reflect the INITIAL right midline deviation. Once again however, this unilateral left extraction option did not eliminate the transposition treatment planning dilemma. Only one plan did, Option 3. Extraction of tooth #5 would permit tooth #6 to erupt and definitively solve the transposition. It would make the case the most predictable and time efficient. Photos (Figure 5) were obtained shortly after extracting the following teeth: 5, 13, 21, and 29.

Plan to extract in the maxillary and mandibular left quadrants only, recognizing that the maxillary and mandibular midlines are off to the patient’s right. For example, extract the impacted tooth #13 and tooth #21-directly adjacent to the displaced canine that is in a Class III relationship with the opposing maxillary canine. The wild card remains the same. How will you treat the transposition in the maxillary right quadrant? And what will you do to prevent the maxillary dental midline from moving too far to the left? Might you use a Class II elastic on the right (to offset space opening mechanics in the maxillary right quadrant) and a Class III elastic on the left?

Option 3:

Extract a tooth in each of the four quadrants. Extraction of the maxillary right first premolar corrects the transposition with certainty. It is also easier to extract the fully erupted first premolar versus surgical removal of the unerupted canine. The patient will be left with a longer rooted canine in its proper position as part of this plan, and a normal looking crown. The canine can erupt spontaneously, bringing its entire attachment apparatus with it. Tooth #13 and tooth #21 will be extracted, as in Option 2. Tooth #29 (rather than #28) will be extracted in the remaining quadrant, in the hopes of minimizing movement of the mandibular dental midline any further to the right.

.018 traditional twin brackets were placed on all of the maxillary teeth following the extraction procedure by the referring general dentist. Particular attention was placed on proper bracket placement for distal root angulation of tooth #12 (Figure 6). Brackets were placed on the mandibular teeth shortly thereafter. In this way, the source of any inadvertent bite opening could be targeted. Round nickel titanium arch

Figure 5: Photographs after extraction
Figure 6:

wires were used for initial alignment, followed by rectangular arch wires of the same material. There was little space to close in the maxillary arch following the resolution of crowding. It was ultimately closed with sliding mechanics on a low load/deflection 16 x 22 TMA archwire. Space closing requirements were greater in the mandibular arch, where crowding was substantially less. A 16 x 22 SS closing loop archwire was used. Intraoral PROGRESS photographs (Figure 7) were obtained during space closure. A panoramic radiograph was obtained at the conclusion of space closure to verify root angulation (Figure 8)

Interarch elastics were used to supplement space closure and obtain solid Class I molar and canine occlusion. Finishing was accomplished on 16 x 16 SS archwires, along with vertical elastics. The thick lingual proximal ridges of the maxillary incisors were adjusted for ideal overbite and overjet. Total time in treatment was 25 months.

The FINAL facial photographs (Figure 9) illustrate nice facial balance and a subtle reduction in lip protrusion. The FINAL intraoral photographs (Figure 10) show well aligned teeth and complete space closure. The midlines are coincident but arguably 1mm to the right. There is symmetry in the smile display, made possible by choosing to extract the maxillary right first premolar rather than the impacted canine. Best of all, no one would ever know that transposition of teeth in the maxillary right quadrant was initially a treatment planning consideration.

The post-treatment panoramic radiograph (Figure 11) shows good root parallelism across all extraction sites. Root quality and periodontal support remain excellent in this 15 1/2 year-old young lady. There is a more obvious radiopacity in close proximity to the distal root of tooth #18. It will be evaluated by the oral surgeon, along with third molar extraction consideration and timing.

The post-treatment cephalogram, its tracing and the cephalometric values (Figure 12a and 12b) reveal retraction of the incisors with good torque control. There was a slight increase in the vertical dimension. The pre-treatment/post-treatment superimposition (Figure 13) confirms that the face did become slightly longer, even with a traditional premolar extraction approach.

YOU may have treated this patient differently, and as always, that is completely acceptable. Although there should be no disagreement regarding the diagnosis, differences of opinion can and will naturally occur regarding the treatment plan. This case report is presented to illustrate one way to treat this patient and to provide the rationale

Figure 7: Progress photographs
Figure 10: Final intraoral photographs
Figure 11: Post-treatment panoramic radiograph
Figure 8: Progress panoramic radiograph
Figure 9: Final facial photographs

for such treatment. The severe underlying skeletal openbite prompted me to choose a plan that was the most predictable, effective, and time efficient. Correcting the transposition in the maxillary right quadrant by accommodating both the canine and first premolar was not consistent with this goal. Accepting the transposition would have been easier mechanically but an esthetic compromise. The maxillary right first premolar clinical crown did not look like the left canine. The FINAL dentofacial esthetic outcome was made possible by the chosen extraction treatment plan, demonstrating once again that esthetics can improve in both extraction and non-extraction cases.

Updates from our State Associations

State meetings are a great opportunity to network with fellow Southern Society of OrthodontistsSM members, discuss topics facing local orthodontists and enjoy continuing education.

Louisiana and South Carolina have hosted their annual meetings.

Louisiana Association of Orthodontists Meeting
South Carolina Association of Orthodontists Meeting
Figure 12a and 12b: Post-treatment cephalogram, cephalometric values, and tracing
Figure 13: Pre-treatment/Post-treatment superimposition

MAKE AN IMPACT

Help us build 121 bikes for kids at a Bike Build during the Annual Session in Orlando

The SSO and The Roberto Clemente Foundation are bringing a Bike Build to this year’s Annual Session. Together with our attendees, we will build 121 bikes in 2 hours! Make a donation or register to join us by scanning the QR Code. SAO & SWSO Annual Session

September 26-28, 2024 | Rosen Shingle Creek in Orlando Watch your email for meeting

Turn static files into dynamic content formats.

Create a flipbook
Issuu converts static files into: digital portfolios, online yearbooks, online catalogs, digital photo albums and more. Sign up and create your flipbook.
Southern Society of Orthodontists Summer 2024 Newsletter by Southern Society of Orthodontists - Issuu