SCDv17n3_Port_v2

Page 1


APOIO CIENTÍFICO

Volume 17 ● Número 2 ● Julho - Setembro 2025

RELATO DE CASO

ONICOMATRICOMA: SEMPRE UM DESAFIO DIAGNÓSTICO

RELATO DE CASO

■ Toxina botulínica no tratamento de pênfigo vegetante de couro cabeludo

■ Fechamento tardio de ferida cirúrgica do couro cabeludo pela técnica de Figueiredo: relato de um caso

■ Lobuloplastia bilateral com técnica “snail” invertida para correção de lóbulos deformados por uso prolongado de alargadores

ARTIGO DE REVISÃO

■ Avanços na avaliação e tratamento de granulomas de corpo estranho causados por ácido hialurônico: uma revisão sistemática

■ Intervalo de tempo entre o diagnóstico e o tratamento do melanoma no Brasil: uma questão de geografia?

P ublicação trimestral

EDITOR-CHEFE

Hamilton Ometto Stolf Universidade Estadual de Campinas (Unicamp), Campinas (SP), Brazil. Universidade Estadual Paulista, São Paulo (SP), Brazil.

COEDITORES

Bogdana Victoria Kadunc Hospital do Servidor Público Municipal, São Paulo (SP), Brazil.

Célia Luiza Petersen Vitello Kalil Universidade Federal da Fronteira Sul, Passo Fundo (RS), Brazil.

Vitor Costa Fabris

Faculdade de Medicina da UNIARP, Caçador (SC), Brazil. Centro de Estudos em Dermatologia Estética, Caçador (SC), Brazil.

Sociedade Brasileira de Dermatologia

Afiliada à Associação Médica Brasileira www.sbd.org.br

Surgical & Cosmetic Dermatology

SUR GI CAL & COS ME TIC DER MATO LOGY

Publicação Oficial da Sociedade Brasileira de Dermatologia

Publicação Trimestral

ISSN-e 1984-8773 l Julho - Setembro 2025 l Volume 17 l Número 3

Diretoria executiva | 2025-2026

Presidente:

Carlos Baptista Barcaui | RJ

Vice-Presidente:

Lauro Lourival Lopes Filho | PI

Secretária Geral:

Francisca Regina Oliveira Carneiro | PA

Tesoureiro:

Márcio Soares Serra | RJ

Primeira Secretária:

Rosana Lazzarini | SP

Segunda Secretária:

Juliana Kida | SC

Equipe Editorial

Editor-chefe:

Hamilton Ometto Stolf

Universidade Estadual de Campinas (Unicamp), Campinas (SP), Brazil.

Universidade Estadual Paulista, São Paulo (SP), Brazil.

Coeditors:

Bogdana Victoria Kadunc Hospital do Servidor Público Municipal, São Paulo (SP), Brazil.

Célia Luiza Petersen Vitello Kalil Universidade Federal da Fronteira Sul, Passo Fundo (RS), Brazil.

Vitor Costa Fabris Faculdade de Medicina da UNIARP, Caçador (SC), Brazil.

Centro de Estudos em Dermatologia Estética, Caçador (SC), Brazil.

Editores de áreas

Cosmetic Dermatology

Doris Hexsel

Brazilian Center for Studies in Dermatology, Porto Alegre (RS), Brazil.

Carolina Malavassi Murari

University of Santo Amaro, São Paulo (SP), Brazil.

Laser and Technology

Celia Kalil

Santa Casa de Misericordia Hospital in Porto Alegre, Porto Alegre (RS), Brazil.

Luciana Cirillo Maluf Azevedo

ABC Medical School, Santo André (SP), Brazil.

Nail surgery

Nilton Di Chiacchio

Municipal Civil Servant Hospital, São Paulo (SP), Brazil.

Tricologia

Carolina Fechine

School of Medicine of the University of São Paulo, São Paulo (SP), Brazil.

Luciana Pontes

Ruston Clinic, São Paulo (SP), Brazil.

Micrographic Surgery

Felipe Cerci

Mackenzie Evangelical University Hospital, Curitiba (PR), Brazil.

Reconstructive Dermatologic Surgery

Lauro Lourival Lopes Filho

Federal University of Piauí, Teresina (PI), Brazil.

Healing and wounds

Gisele Viana de Oliveira

Minas Gerais State Civil Servants’ Pension Institute, Belo Horizonte (MG), Brazil.

Luciana Patrícia Fernandes Abbade

Botucatu Medical School of the São Paulo State University – Unesp, São Paulo (SP), Brazil.

Cosmetic Dermatologic Surgery

Carlos Gustavo Wambier

Warren Alpert Medical School, Brown University, Providence, Rhode Island, United States of America.

Diagnostic Imaging

Paula Tavares Colpas

Pontifical Catholic University of Campinas, Campinas (SP), Brazil.

Conselho editorial nacional

Alcidarta dos Reis Gadelha

Faculdade de Medicina da Universidade Estadual da Amazônia, Manaus (AM), Brazil.

Ana Paula Gomes Meski

Hospital das Clínicas da Faculdade de Medicina da Universidade de São Paulo, São Paulo (SP), Brazil.

Ana Cláudia Cavalcante Espósito

Universidade Federal de São Paulo, Departamento de Dermatologia e Radioterapia, Botucatu (SP), Brazil.

André Luiz Simião Pontifícia Universidade Católica de Campinas, Campinas (SP), Brazil.

Carlos Baptista Barcaui

Universidade do Estado do Rio de Janeiro, Hospital Universitário Pedro Ernesto, Rio de Janeiro (RJ), Brazil.

Carlos Gustavo Wambier

Warren Alpert Medical School, Brown University, Providence, Rhode Island, Estados Unidos da América.

Carolina Oliveira Costa Fechine

Faculdade de Medicina da Universidade de São Paulo, São Paulo (SP), Brazil.

Carolina Malavassi Murari

Universidade de Santo Amaro, São Paulo (SP), Brazil.

Emerson Vasconcelos de Andrade Lima Santa Casa de Misericordia do Recife -Recife (PE), Brazil.

Érica de Oliveira Monteiro Universidade Federal de São Paulo – UNIFESP, São Paulo (SP), Brazil.

Érico Pampado Di Santis Universidade de Taubaté – UNITAU, Taubaté (SP), Brazil.

Fabiane Mulinari Brenner

Hospital das Clínicas, Universidade Federal do Paraná, Departamento de Dermatologia, Curitiba (PR), Brazil.

Felipe Bochnia Cerci

Hospital Universitário Evangélico Mackenzie, Curitiba (PR), Brazil.

Flávia Alvim Sant’anna Addor Grupo MEDCIN, Pesquisa Clínica, Osasco (SP), Brazil

Francisco M. Paschoal Faculdade de Medicina do ABC, São Paulo (SP), Brazil.

Gisele Viana de Oliveira Instituto de Previdência dos Servidores do Estado de Minas Gerais, Belo Horizonte (MG), Brazil.

Izelda Carvalho Costa Universidade de Brasília - UnB, Brasília (DF), Brazil.

José Roberto Pereira Pegas Complexo Hospitalar Padre Bento de Guarulhos, Guarulhos (SP), Brazil.

Lauro Lourival Lopes Filho Universidade Federal do Piauí, Teresina (PI), Brazil.

Luciana Archetti Conrado Integra Dermatologia - São Paulo (SP), Brazil.

Luciana Cirillo Maluf Azevedo Faculdade de Medicina do ABC, Santo André (SP), Brazil.

Luciana Patrícia Fernandes Abbade Faculdade de Medicina de Botucatu da Universidade Estadual Paulista – Unesp, São Paulo (SP), Brazil.

Luciana Takata Pontes

Clínica Ruston, São Paulo (SP), Brazil. Luis Antonio Torezan Universidade de São Paulo – USP, São Paulo (SP), Brazil.

Luiz Fernando F. Kopke

Universidade Federal de Santa Catarina – UFSC, Florianópolis (SC), Brazil.

Maria Fernanda Gavazzoni

Santa Casa da Misericórdia do Rio de Janeiro, Rio de Janeiro (RJ), Brazil.

Monica Manela Azulay

Universidade Federal do Rio de Janeiro, Rio de Janeiro (RJ), Brazil.

Nilton Di Chiacchio

Hospital do Servidor Público Municipal, São Paulo (SP), Brazil.

Paula Tavares Colpas

Pontifícia Universidade Católica de Campinas, Campinas (SP), Brazil.

Samira Yarak

Universidade Federal de São Paulo, São Paulo (SP), Brazil.

Conselho internacional de revisores

Jerry Brewer

University of South Carolina, Colúmbia (SC), Estados Unidos da América.

A/C SURGICAL & COSMETIC DERMATOLOGY

Av. Rio Branco, 39 18º andar

Cep: 20.090-003

Rio de Janeiro-RJ, Brazil.

Phone: 55 (21) 2253-6747

E-mail: surgical@sbd.org.br website: www.surgicalcosmetic.org.br

A Surgical & Cosmetic Dermatology é uma publicação oficial da Sociedade Brasileira de Dermatologia (SBD) em parceria com a Sociedade Brasileira de Cirurgia Dermatológica. O conteúdo técnico-científico apresentado nesta publicação é de co-propriedade da Sociedade Brasileira de Dermatologia.

Editada por: Sociedade Brasileira de Dermatologia.

©2019 Sociedade Brasileira de Dermatologia. Site: www.sbd.org.br

Os anúncios veiculados nesta edição são de exclusiva responsabilidade dos anunciantes, assim como os conceitos emitidos em ar tigos assinados são de exclusiva responsabilidade de seus autores, não refletindo necessariamente a opinião da SBD.

Todos os direitos reser vados e protegidos pela lei 9.610 de 19/02/98. Nenhuma parte dessa publicação poderá ser reproduzida sem autor ização prévia por escrito da Sociedade Brasileira de Dermatologia, sejam quais forem os meios empregados: eletrônico, mecânico, fotográfico, gravação ou quaisquer outros.

Material de distribuição à classe médica.

A revista consta no Depósito Legal, na Biblioteca Nacional, de acordo com o Decreto nº 1.825, de 20 de dezembro de 1907.

Licença Creative Commons

Indexação

n Sumários. org (www.sumarios.org/)

n DOAJ (https://doaj.org/)

n Latindex (www.latindex.org)

n Lilacs (https://bases.bireme.br/)

n SCOPUS (http://www.scopus.com/home.url)

n Periódica (http://periodica.unam.mx)

n Redalyc (http://www.redalyc.org)

PUBLICAÇÃO TRIMESTRAL

Equipe técnica

Nazareno Nogueira de Souza

Bibliotecária

Vanessa Mafra

Informações sobre assinatura no site: www.surgicalcosmetic.org.br

SURGICAL & COSMETIC DERMATOLOGY / INSTRUÇÕES PARA OS AUTORES

Surgical & Cosmetic Dermatology é uma revista interdisciplinar de acesso livre dedicada a publicar pesquisas sobre todos os aspectos da cirurgia dermatológica. A revista aceita artigos em Oncologia Cutânea, Cirurgia e Dermatologia Cosmética, Laser e outras Tecnologias Terapêuticas.

Acesse as Políticas Editoriais para mais informações sobre: Informações gerais

Idioma

Acesso livre

Autoria

Política de revisão por pares Direitos autorais e licenças

Diretrizes éticas e integridade da pesquisa

PREPRINT

Aceitamos a submissão de artigos depositados em repositórios de preprints. Os autores podem compartilhar seu preprint em qualquer lugar e a qualquer momento.

No caso de um preprint ser aceito para publicação, encorajamos os autores a vincula-lo à sua publicação formal por meio de seu Digital Object Identifier (DOI).

Os autores podem atualizar seus preprints no bioRxiv (https:// www.biorxiv.org/), medRxiv (https://www.medrxiv.org/) ou outros com seus manuscritos aceitos.

AVISO LEGAL

As declarações e opiniões expressas nos artigos e comunicações publicadas na Surgical & Cosmetic Dermatology são de responsabilidade do(s) autor(es) e não necessariamente do(s) Editor(es), Editora ou Sociedade.

DIRETRIZES PARA SUBMISSÃO

A preparação correta do manuscrito torna os processos de revisão e publicação mais eficientes. Assim, recomendamos alguns cuidados que podem facilitar significativamente a preparação dos manuscritos.

Os artigos devem ser inéditos e redigidos no idioma de origem do autor (português ou inglês). A equipe editorial providenciará as versões necessárias. A escolha da fonte deve ser Times New Roman ou Arial, de número 12.

O título do trabalho deve ser curto e conciso, informado em português e inglês, com até 150 caracteres sem espaços, acompanhado de um título resumido.

Os resumos em português e inglês devem acompanhar o formato adequado ao tipo de artigo.

Os autores devem informar o nome com suas abreviaturas, e as suas afiliações institucionais, seguidos de cidade, estado e país. Os vínculos às instituições devem ser citados em ordem hierárquica (ex.1º Departamento, 2º Universidade) e não são permitidas a inclusão dos mini-currículos. Quando um autor é afiliado a mais de uma instituição, cada uma deve ser identificada separadamente. Quando dois ou mais autores estão afiliados à mesma instituição, a sua identificação é feita uma única vez. Autores pertencentes à Clínicas privadas devem citá-las como uma instituição. É obrigatório mencionar o número ORCID, utilizado para a identificação de pesquisadores, para o primeiro e último autores. O autor deve assumir pelo menos uma responsabilidade na elaboração do trabalho e deverá informar a contribuição de cada um na submissão. Um dos autores deve ser designado como autor correspondente, com endereço de e-mail. Deve também ser citado o local de realização do

trabalho.

Os autores devem informar claramente se houve conflitos de interesse e suporte financeiro.

As palavras-chave devem ser citadas em português e em inglês (Keywords), totalizando 3 a 10 por idioma, devendo ser incluídas em todos os tipos de artigos. É recomendável que estas palavras estejam contidas no DeCS (Descritores em Ciências da Saúde) e MeSH (Medical Subject Headings) que podem ser acessados na internet.

O número limite de palavras para os textos deve ser obedecido segundo o tipo de artigo, e computado excluindo as referências e os resumos em português e inglês.

Devem ser evitadas informações introdutórias extensas e repetitivas, dando-se preferência às mais recentes, ainda não publicadas. Evite textos com repetição da mesma informação no resumo, introdução e discussão.

Pesos e medidas devem ser expressos no sistema métrico decimal, e temperaturas em graus centígrados.

Drogas devem ser mencionadas por seus nomes genéricos, seguidos da dosagem e posologia empregadas, evitando-se a citação de termos comerciais ou marcas. Descrições de quaisquer equipamentos, instrumentos, testes e reagentes devem conter o nome do fabricante e o local de fabricação.

De acordo com o ICMJE, apenas podem ser designados como autores, aqueles que participaram ativamente no trabalho, podendo assim assumir a responsabilidade pública pelo seu conteúdo. Os créditos de autoria devem se basear exclusivamente em contribuições substanciais para: discussão e planejamento do tema e protocolo, análise ou interpretação de dados;

Redação do artigo ou sua crítica; responsabilidade pela aprovação final para a publicação. Outras contribuições menores como sugestões de literatura, coleta e análise de dados, obtenção de financiamento, auxílio técnico na execução de rotinas, encaminhamento de pacientes, interpretação de exames de rotina e chefia de serviço ou departamento que não estejam envolvidas no estudo, não constituem critérios para autoria. e podem ser reconhecidas separadamente sob a forma de "agradecimentos", de acordo com a decisão dos autores.

TIPOS DE ARTIGOS

A Surgical & Cosmetic Dermatology publica os seguintes tipos de artigos:

ARTIGOS DE REVISÃO

Artigos de Revisão podem aprofundar os temas específicos nas áreas de interesse da S&CD, algoritmos, compilações, estatísticas, consenso e guidelines. Estes trabalhos têm formato livre, porem devem conter resumo não estruturado de até 100 palavras e conclusões ou considerações finais. Limite: texto até 6000 palavras, 10 ilustrações e 60 referências. Os artigos de revisão sistemática ou metanálises devem seguir orientações pertinentes (http://cochrane.org.br).

ARTIGO ORIGINAL

Artigos Originais são relatos de uma pesquisa investigativa original nas áreas de Cirurgia Dermatológica, Oncologia Cutânea, Diagnóstico por Imagem, Tecnologia em Dermatologia e Dermatologia Cosmética. Exemplos: estudos experimentais, estudos clínicos,

comparações e descrições de técnicas ou de métodos de avaliação. O texto deverá conter até 4000 palavras, 10 ilustrações e 35 referências e seguir o formato IMRDC (Introdução e objetivo, Métodos, Resultados, Discussão, Conclusão).

Resumo: deverá ter no máximo 250 palavras e ser estruturado, contendo os itens: Introdução, Objetivo, Métodos, Resultados e Conclusões. Não é permitido afirmar que os resultados ou outros dados serão apresentados ou discutidos.

Introdução: citar as razões que motivaram o estudo, descrevendo o estado atual do conhecimento sobre o tema. Utilizar o último parágrafo para especificar a principal pergunta ou objetivo do estudo, e a principal hipótese testada, se houver.

Métodos: Explicar como o estudo foi feito:

Tipo de estudo: descrever o seu desenho especificando a direção temporal (retrospectivo ou prospectivo), o tipo de randomização quando utilizada (pareamento, sorteio, sequenciamento, etc.), se o estudo foi cego, comparativo, controlado por placebo, etc.

Local: indicar onde o estudo foi realizado (instituição privada ou pública), citar que a pesquisa foi aprovada pelo Comitê de Ética em Pesquisa de sua instituição, os procedimentos de seleção, os critérios de inclusão e exclusão, e o número inicial de pacientes.

Procedimentos: descrever as principais características das intervenções realizadas, detalhando a técnica e lembrando que o estudo de investigação deverá ser reprodutível.

Descrição dos métodos utilizados para avaliação dos resultados.

Inclusão da análise estatística descritiva e/ou comparativa com descrição do planejamento da amostra (representativa do universo a ser estudado), a análise e os testes estatísticos e apresentação dos níveis de significância adotados. A utilização de análises estatísticas não usuais é incentivada, porém neste caso, deve-se fazer uma descrição mais detalhada da mesma.

Resultados: descrever os principais resultados que devem ser acompanhados de estimativas pontuais e medidas de dispersão (p.ex., média e erro padrão) ou de estimativas intervalares (p.ex., intervalos de confiança), bem como os níveis descritivos dos testes estatísticos utilizados (p.ex. “p-value”). Os achados também devem ser interpretados sob o ponto de vista clínico.

Discussão: enfatizar os novos e importantes resultados encontrados pelo estudo e que farão parte da conclusão. Relatar observações de outros estudos relevantes. Mencionar as limitações dos achados e as implicações para pesquisas futuras.

Conclusões: devem ser concisas e responder apenas aos objetivos propostos. A mesma ênfase deve ser dada para estudos com resultados positivos ou negativos.

DIAGNÓSTICO POR IMAGEM

O Diagnóstico por Imagem aborda temas ou casos clínicos em que os exames de imagens (dermatoscopia, microscopia confocal, ultrassom e outros métodos) são fundamentais no diagnóstico ou tratamento. É composto por resumo não estruturado de até 100 palavras, texto até 1200 palavras, 6 ilustrações e 5 referências.

COMO EU FAÇO?

Como eu faço descreve novas técnicas ou detalhes de técnicas. Compõe-se por resumo não estruturado de até 100 palavras, introdução com revisão de literatura, métodos, resultados, discussão e conclusão. Limite: 1200 palavras, 8 ilustrações e 30 referências.

RELATO DE CASO

Relatos de caso são descrições de casos ou séries de casos de relevância nas áreas de interesse da S&CD, com descrição de tratamentos,

complicações, etc. Contém resumo não estruturado de até 100 palavras, introdução com revisão de literatura, métodos, resultados, discussão e conclusão, sempre que pertinentes. Limite: texto até 1200 palavras, 8 ilustrações e 30 referências.

CARTAS AO EDITOR

As Cartas ao Editor são comentários objetivos, breves e construtivos sobre estudos ou pesquisas anteriormente publicados. Compõe-se de texto de até 600 palavras e no máximo 5 referências.

COMITÊ DE ÉTICA

O certificado de autorização por um Comitê de Ética é exigido apenas para os Artigos Originais de pesquisa prospectiva.

REFERÊNCIAS

As referências bibliográficas devem ser listadas nas últimas páginas do artigo, e numeradas de acordo com a citação no texto (em ordem numérica sequencial), seguindo o estilo Vancouver, como indicado pelo International Committee of Medical Journal Editors (ICMJE). Referências citadas em legendas de tabelas e figuras devem manter a sequência com as citações no texto. Todos os autores devem ser citados se forem até seis; acima disso, devem ser mencionados os seis primeiros e “et al.”. Seguem-se exemplos dos tipos mais comuns de referências. Exemplos de citações no texto retirados do ICMJE:

Artigo em periódico:

Hallal AH, Amortegui JD, Jeroukhimov IM, Casillas J, Schulman CI, Manning RJ, et al. Magnetic resonance cholangiopancreatography accurately detects common bile duct stones in resolving gallstone pancreatitis. J Am Coll Surg. 2005;200(6):869-75.

Capítulo de livro:

Reppert SM. Circadian rhythms: basic aspects and pediatric implications. In: Styne DM, Brook CGD, editors. Current concepts in pediatric endocrinology. New York: Elsevier; 1987. p .91-125.

Texto na Internet:

Ex. com autor indicado: Fugh-Berman A. PharmedOUT [Internet]. Washington: Georgetown University, Department of Physiology and Biophysics; c2006 [cited 2007 Mar 23]. Available from: http://www.pharmedout.org/

Ex. quando o autor é uma organização: International Union of Biochemistry and Molecular Biology. Recommendations on Biochemical & Organic Nomenclature, Symbols & Terminology etc. [Internet]. London: University of London, Queen Mary, Department of Chemistry; [updated 2006 Jul 24; cited 2007 Feb 22]. Available from: http://www. chem.qmul.ac.uk/iubmb/.

Apresentação prévia em eventos:

Bruhat M, Silva Carvalho JL, Campo R, Fradique A, Dequesne J, Setubal A, editors. Proceedings of the 10th Congress of the European Society for Gynaecological Endoscopy; 2001 Nov 22-24; Lisbon, Portugal. Bologna (Italy): Monduzzi Editore, International Proceedings Division; c2001. 474 p.

ILUSTRAÇÕES

As figuras, quadros, gráficos e tabelas devem ser referidas em ordem numérica sequencial no texto em números arábicos (exemplo: Figura 3, Gráfico 7), cabendo ao Editor suprimir as redundantes. As legendas das figuras e gráficos e os títulos e notas de rodapé das tabelas devem descrever precisamente seu conteúdo com frases curtas, porém suficientes para a compreensão ainda que o artigo não seja totalmente

lido. Todos devem ser inseridos no passo correspondente a ilustrações no sistema, evitando que use o campo destinado ao texto para que não contabilizem as palavras dentro das ilustrações.

As figuras deverão ter resolução mínima de 300 DPI, largura mínima de 1.200 pixels com altura proporcional, e serem gravadas nos formatos JPG ou TIF. As fotografias devem estar no foco, possibilitando a visualização dos detalhes a serem demonstrados. Podem ser colocadas setas ou linhas para localizar as áreas de interesse. As legendas das imagens histológicas devem especificar a coloração e o aumento. Se uma figura já foi publicada anteriormente, deverá citar a fonte original abaixo da mesma e constar nas referências. Deverão enviar à revista a permissão do detentor dos direitos autorais para a sua reprodução. No uso de figuras que identifiquem a face de pacientes será preciso autorização por escrito para divulgação (ver no site da revista o documento Autorização para uso de fotografias).

Quanto aos vídeos é necessário inserir legendas contendo informações como título do manuscrito, autoria, instituição e outros comentários pertinentes. No uso de imagens de pacientes, a identidade deverá ser resguardada, do contrário, será preciso anexar-lhes permissão por escrito para divulgação.

Os gráficos deverão ser elaborados em Microsoft Excel. As tabelas dispensam sua descrição no texto tendo a finalidade de suplementá-lo e não a de aumentá-lo. As unidades utilizadas para exprimir os resultados (m, g, g/100, mL, etc.) figurarão no alto de cada coluna. Os pacientes devem ser identificados por números ou letras, e nunca pelos nomes, iniciais ou número de registro hospitalar.

CARTA DE APRESENTAÇÃO

A carta de apresentação deve incluir as seguintes informações:

Uma explicação de por que seu manuscrito é adequado para publicação em Surgical & Cosmetic Dermatology.

Confirmação de que o conteúdo do manuscrito é original e não foi publicado nem está sendo considerado para publicação em outro lugar. Se o manuscrito estiver sendo enviado para uma edição especial em particular, o nome específico deve ser mencionado na carta de apresentação.

Se o artigo relatar os resultados de uma intervenção de saúde em participantes humanos, a Surgical & Cosmetic Dermatology recomenda fortemente sua documentação em um registro apropriado. O número e a data de registro devem estar indicados nesta carta.

DECLARAÇÕES DOS AUTORES

As seguintes declarações devem ser incluídas na versão final do manuscrito. Espera-se que essas declarações sejam submetidas juntamente com a carta de apresentação, uma vez que a Surgical & Cosmetic Dermatology adota a revisão por pares duplo-cego.

‘Agradecimentos’ – lista de pessoas que contribuíram para o artigo (e não atendem aos critérios de autoria), incluindo colaboradores que forneceram serviços profissionais de redação ou materiais.

‘Disponibilidade de dados e materiais’ – as declarações de disponibilidade contêm informações sobre onde os dados que suportam os resultados relatados no artigo podem ser encontrados, como hiperlinks para conjuntos de dados arquivados publicamente. Exemplo de frases são: ‘Todos os dados gerados ou analisados durante este estudo estão incluídos neste artigo’; 'Os conjuntos de dados gerados e/ou analisados durante o estudo atual estão disponíveis no repositório [NOME]', 'Os conjuntos de dados gerados durante e/ou analisados durante o estudo atual estão disponíveis junto ao autor correspondente mediante solicitação razoável', ou 'Não aplicável' se nenhum dado novo foi criado ou analisado no estudo.

‘Apoio financeiro’ – todas as fontes de financiamento do estudo devem ser divulgadas; é necessário indicar bolsas que os autores receberam para apoiar a pesquisa.

‘Conflito de interesses’ – todos os conflitos de interesse financeiros e não financeiros devem ser declarados nesta seção. Se os autores não tiverem interesses conflitantes, é necessário mencionar ‘Os autores declaram não haver conflito de interesses’.

‘Contribuição dos autores’: Espera-se que cada autor tenha feito contribuições substanciais ao manuscrito, que devem ser especificadas nesta seção. Use as iniciais para se referir à contribuição de cada autor. Por exemplo: ‘AB, CD e EF conceberam esta pesquisa e projetaram experimentos. GH participou da concepção e interpretação dos dados. IJ realizou experimentos e análises. KL e MN escreveram o artigo e participaram de suas revisões. Todos os autores leram e aprovaram o manuscrito final'.

O limite máximo de autores aceitável é de 5 (cinco); só haverá exceção para trabalhos de maior complexidade (ex. Artigo Original, Revisão) mediante justificativa e aprovação dos editores.

‘Aprovação ética/ aprovação ética e consentimento para participar’ – manuscritos que relatam estudos envolvendo participantes humanos ou dados sobre humanos devem incluir uma declaração sobre aprovação e consentimento éticos, o nome do comitê de ética que aprovou o estudo e o número de referência do comitê. Estudos envolvendo animais devem incluir uma declaração de aprovação ética. Se o manuscrito não relatar ou envolver o uso de dados de animais ou humanos, é necessário declarar 'Não aplicável'.

‘Consentimento de uso para publicação (Copyright)' – se o manuscrito contiver dados pessoais de qualquer indivíduo em qualquer forma, o consentimento para publicação deve ser obtido dessa pessoa ou, no caso de crianças, de seus pais ou tutor legal. Todas as apresentações de relatos de caso devem ter consentimento para publicação.

SUBMISSÃO

Os manuscritos devem ser submetidos por meio de nosso sistema de submissão online (https://www.gnpapers.com.br/scd/default. asp?lang=en). O autor responsável pela submissão é responsável pelo manuscrito durante o processo de submissão e revisão por pares. Ele/ ela deve garantir que todos os coautores elegíveis foram incluídos na lista de autores e que todos leram e aprovaram o manuscrito submetido. Para enviar um manuscrito, os seguintes arquivos são necessários: Arquivo principal do manuscrito que não deve conter os nomes dos autores ou coautores (arquivo anônimo, pois a revista utiliza a revisão por pares duplo-cega). Referências e tabelas menores devem ser incluídas neste arquivo.

Uma página de título que deve conter os nomes de todos os autores e coautores, suas afiliações, seus e-mails, e as todas as declarações de autores.

Uma carta de apresentação.

Arquivos de imagens.

Quaisquer arquivos adicionais como material complementar ao manuscrito.

Todos os documentos como Consentimento de Uso para Publicação (Copyright), Conflito de Interesses e Autorização para Publicação de Fotografias estão disponíveis no site da revista e no sistema de submissão online. Estes documentos devem ser assinados por todos os autores participantes e anexados no sistema ao se submeter o manuscrito.A Autorização para Publicação de Fotografias só é necessária quando a face do paciente é identificada por completo. O documento de Participação no Estudo só será solicitado pelos editores se houver necessidade.

Table of contents

Official publication of the Brazilian Society of Dermatology

JULHO - SETEMBRO 2025 l Volume 17 l Number 3

ISSN:1984-5510

Online ISSN: 1984-8773

ARTIGO DE REVISÃO

Abordagens sinérgicas no rejuvenescimento estético facial: diretrizes para utilização de ácido hialurônico combinado

267 a tecnologias baseadas em laser e outras energias

Adriana Vilarinho, Alessandra Haddad, Cintia Cunha, Fernanda Nunes, Maria Paula Del Nero, Taciana Dal'Forno

Avanços na avaliação e tratamento de granulomas de corpo estranho de ácido hialurônico: uma revisão sistemática

274 Lina María Osorio Cock, Jaime Alber to Rengifo Palacios, María Paulina Uribe Posada, María Alejandra Sarabia de Capozzi, María Aida Angulo Morillo

ARTGO ORIGINAL

Campanha Nacional de Prevenção ao Câncer de Pele: análise da taxa de resolutividade dos tumores cutâneos

282 diagnosticados durante as Campanhas do Dezembro Laranja de 2022 e 2023, realizada em Jundiaí Isabella Melo Pompei, Célia Antônia Xavier de Moraes Alves, Annamaria Piovezan Lorenção, Bruna Mendes Almeida, Juliana Arêas de Souza Lima Beltrame Ferreira, Luciano Melo Pompei

Avaliação quantitativa e qualitativa da blefaroplastia superior: um estudo longitudinal retrospectivo

293 Gabriele Harumi Seko, Jéssica Pagan Faria, Eldislei Mioto, Luan Yudi Prando Kasuga, Melissa Caroline Godoi Prestes, Rogerio Nabor Kondo

Associação de peelings químicos e isotretinoína oral no tratamento de cicatrizes de acne

299 Marina Soares Silverio, Daniel Simão de Andrade, Carolina Malavassi Murari, Rossana Cantanhede Farias de Vasconcelos, Fernanda Rytenband

Avaliando o impacto dos anticorpos antinucleares na gravidade e nos tipos de vitiligo: estudo clínico investigativo retrospectivo

308 Rasha Aoun, Dalia Hossam, Ahmed Sadek, Shaimaa Farouk

Tempo diagnóstico-tratamento do melanoma no Brasil: uma questão de geografia?

315 Isabela Karina Vilas Boas, Maria Julia de Medeiros Pedroza, Milena Dias da Silva, Beatriz Bernaud Coelho, Magda Blessmann Weber

CARTA AO EDITOR

Gel de adapaleno (0,3%)/peróxido de benzoíla (2,5%) para acne em mulheres adultas: uma série de casos reais da América Latina

323 Marco Alexandre Rocha, Leonel Fierro-Arias, Patricia Troielli, Anália Viana, Hélio Amante Miot

Table of contents

COMO EU FAÇO?

Reconstrução em estágio único de um defeito no terço superior da orelha com enxerto de cartilagem conchal ipsilateral e retalho pré-auricular tunelizado

Roberto Klinger-Guerra, Jaime Zapata-Sepúlveda, Pablo Vargas-Mora, Pablo Muñoz-Alvear

CASO CLÍNICO

Fechamento tardio de ferida cirúrgica do couro cabeludo pela técnica de Figueiredo: relato de um caso

Rebecca Perez de Amorim, Hélio Amante Miot

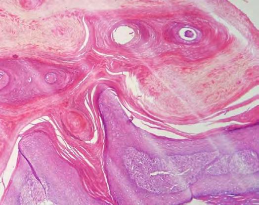
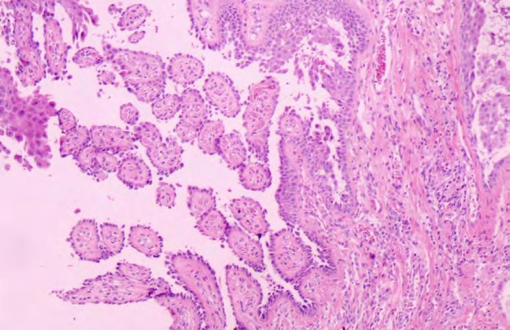
Onicomatricoma - sempre um desafio diagnóstico

Soraya Neves Marques Barbosa dos Santos, Sílvia Iovine Kobata, Isabela Boechat Morato, Natália de Paiva Sobreira

Lobuloplastia Bilateral com Técnica 'Snail' invertida para Correção de Lóbulos Deformados por Uso Prolongado de Alargadores

Luiz Roberto Dal Bem Pires Júnior, Fernanda Nomoto Fujii, Rafaella Castilho,Waleska Ramos Alvim Lescowicz, Rodolfo Barros Leite, AnnaVictoria Valiente Engelhorn

Toxina botulínica no tratamento de pênfigo vegetante de couro cabeludo

André Pozzobon Capeletti,Ana Paula Dornelles Manzoni, Rodrigo Pereira Duquia,VanessaVinderfeltes Padilha

Um caso de rejeição de transplante renal secundária ao cemiplimabe para carcinoma espinocelular cutâneo recorrente

Nicole Russell, Siddharth Srikakolapu, Jane Scribner

Reconstrução de região malar medial e pálpebra inferior com retalho de McGregor após exérese de carcinoma basocelular pigmentado

Luiz Roberto Dal Bem Pires Júnior, Carlos Augusto Silva Bastos, Rafaella Castilho, Waleska Ramos Alvim Lescowicz, Laurenlisiê Lourega Heitling Brittes

Ultrassom para uma melhor abordagem cirúrgica na Hidradenite Supurativa

Micaelly Samara Meneses Santos, José Roberto Pegas, Raissa Piagentini de Andrade, Leonardo Silva Grassi, Vanessa Cristina Coimbra, Bianca Sousa de Almeida Neves

Fibroqueratoma digital adquirido de localização atípica

André Martins Ornelas, Clarissa Brito Farias, Isabelle Sousa Medeiros Torres Ferreira, Flauberto de Sousa Marinho

327

www.surgicalcosmetic.org.br/

Abordagens sinérgicas no rejuvenescimento estético facial: diretrizes para utilização de

ácido hialurônico combinado a tecnologias baseadas em laser e outras energias

Synergistic approaches in facial aesthetic rejuvenation: guidelines for combining hyaluronic acid fillers and laser/energy-based technologies

Artigo de Revisão

Autores:

Adriana Vilarinho1

Alessandra Haddad2,3

Cintia Cunha4

Fernanda Nunes1

Maria Paula Del Nero1

Taciana Dal'Forno5

1 Dermatologista, Clínica Particular, São Paulo (SP), Brasil

2 Cirurgiã Plástica, Universidade Federal de São Paulo (UNIFESP), Departamento de Cirurgia Plástica, São Paulo (SP), Brasil

DOI: http://www.dx.doi.org/10.5935/scd1984-8773.2025170385

RESUMO

Este artigo apresenta diretrizes práticas para o uso sinérgico de AH e tecnologias baseadas em laser/energia no rejuvenescimento facial. Essas recomendações se originam da interação colaborativa de um grupo multidisciplinar de médicos com experiência em dermatologia e cirurgia plástica e têm o potencial de serem estendidas para o tratamento de outras partes do corpo, incluindo pescoço e mãos. A sinergia entre AH e lasers/luz intensa pulsada foi reconhecida, enfatizando a personalização dos tratamentos e o cuidado pós-tratamento. Essas recomendações representam diretrizes valiosas, passíveis de adaptação conforme as necessidades individuais do paciente e o avanço contínuo das tecnologias dermatológicas. Palavras-chave: Lasers; Luz; Rejuvenescimento;Ácido Hialurônico;Terapia a Laser;Terapia de Luz Intensa Pulsada.

3 Cirurgiã Plástica, Hospital Israelita Albert Einstein, Departamento de Cirurgia Plástica, São Paulo (SP), Brasil

4 Dermatologista, Clínica Particular, Uberlândia (MG), Brasil

5 Dermatologista, Clínica Particular, Porto Alegre (RS), Brasil

Correspondência:

Adriana Vilarinho

E-mail: adriana@adrianavilarinho.com.br

ABSTRACT

This article presents practical guidelines for the synergistic use of HA and laser/energy-based technologies in facial rejuvenation. These recommendations originate from the collaborative interaction of a multidisciplinary group of physicians with experience in dermatology and plastic surgery, and can potentially be extended to treat other areas of the body, including neck and hands. The synergy between HA and lasers/intense pulsed light was recognized, emphasizing patient-tailored treatments and post-treatment care. These recommendations represent valuable guidelines, which can be adapted according to individual patient needs and to the continuous advancement of dermatological technologies. Keywords: Lasers; Light; Rejuvenation; Hyaluronic Acid; Laser Therapy; Intense Pulsed Light Therapy.

Fonte de financiamento: A Galderma forneceu suporte para a formação do conselho e redação do manuscrito. Conflito de interesses: As Dras. Vilarinho, Cunha, Nunes e Dal'Forno são afiliadas a uma agência de palestrantes e atuam como consultoras para a Galderma. A Dra. Del Nero é palestrante, conselheira e consultora da Galderma. A Dra. Haddad é palestrante, consultora, conselheira e pesquisadora da Galderma. A Dra. Nogueira é Diretora Médica na Galderma e a Dra. Tomaz é Gerente Médica Sr. na Galderma.

Data de submissão: 07/03/2024

Decisão final: 07/07/2025

Como citar este artigo: Vilarinho A, Haddad A, Cunha C, Nunes F, Del Nero MP, Dal’Forno T. Abordagens sinérgicas no rejuvenescimento estético facial: diretrizes para utilização de ácido hialurônico combinado a tecnologias baseadas em laser e outras energias. Surg Cosmet Dermatol. 2025;17:e20250385.

INTRODUÇÃO

O mundo das técnicas de rejuvenescimento facial tem se transformado significativamente ao longo dos anos, marcado pela busca de uma aparência jovem e revitalizada. O campo dos procedimentos cosméticos não cirúrgicos modernos hoje oferece uma série de soluções personalizadas para aprimorar as nuances da estética facial enquanto preserva a integridade das expressões e harmonia naturais.1-4 Os preenchedores dérmicos à base de ácido hialurônico (AH) emergiram como um dos pilares desse paradigma de procedimentos estéticos minimamente invasivos.4,5 Além de restaurar o volume, esses preenchedores também elevam os tecidos para reduzir os efeitos de linhas, dobras, sulcos e rugas. Seu posicionamento estratégico, incluindo regiões como linhas da testa, têmpora, linhas glabelares, linhas cantais laterais, dobras nasolabiais, lábios, mandíbula, linhas de marionete, queixo e sulcos lacrimais, leva a um aspecto delineado e rejuvenescido.3,5-7 No contexto do uso de ácido hialurônico para rejuvenescimento estético facial, a caracterização abrangente do produto é de suma importância clínica. Em especial, a tecnologia de ligação cruzada NASHA® oferece AH com estabilidade e biodisponibilidade prolongadas, o que aumenta a sua utilidade clínica. Além disso, a tecnologia OBTTM8,9 regula de forma precisa as propriedades físico-químicas do AH, o que otimiza a sua integração nos tecidos dérmicos para obter resultados superiores.10,11 Ao mesmo tempo, tratamentos à base de laser e energia, exemplificados pelo resurfacing com laser fracionado e dispositivos de radiofrequência, e a terapia de luz intensa pulsada (LIP), assumiram um papel central nesse cenário. A sua capacidade de estimular a produção de colágeno, firmar a pele e refinar a textura e o tom os colocam na dianteira das modalidades não invasivas, passíveis de aplicações individuais ou combinadas.7,12,13 Com a aceleração dos avanços tecnológicos, as opções de intervenções não cirúrgicas para fins de rejuvenescimento facial estão evoluindo com diversidade e eficácia crescentes. Contudo, inserida nesse contexto dinâmico, a busca pelo rejuvenescimento facial é um processo repleto de nuances e que exige o conhecimento abrangente das demandas individuais de cada paciente, complexidades da fisiologia do envelhecimento, anatomia facial, princípios estéticos, características dos produtos, escolhas tecnológicas ideais e o conhecimento e experiência de praticantes proficientes.3,6,12,14 Em vista desse entendimento multidimensional, o objetivo deste estudo é criar diretrizes práticas para o tratamento que combina AH e tecnologias à base de laser e energia enquanto atende as necessidades clínicas de otimização de resultados, maior segurança e viabilidade financeira dentro do contexto específico das intervenções estéticas minimamente invasivas de áreas faciais e não faciais.

MÉTODOS

Seleção de Participantes e Composição do Grupo de Especialistas

Um grupo multidisciplinar de nove médicos especialistas com conhecimento relevante e ampla experiência clínica no tratamento com AH combinado com tecnologias à base de laser e

energia se reuniu em agosto de 2023. O grupo incluía médicos especializados em dermatologia e cirurgia plástica. O objetivo desse grupo era oferecer insights e discutir melhores práticas em tratamentos faciais que envolvem essas modalidades.

Desenvolvimento do Questionário e Solicitação

Pré-Reunião

Antes da reunião, foi solicitado que os membros do grupo de especialistas respondessem a um questionário pré-reunião composto de 17 componentes relativos a diversos aspectos dos tratamentos:

1. Critério de seleção de pacientes

2. Recomendações clínicas

3. Contraindicações

4. Preparo pré-operatório

5. Variedades de produtos de ácido hialurônico

6. Técnicas de injeção de ácido hialurônico

7. Número de sessões de ácido hialurônico

8. Intervalo entre sessões de ácido hialurônico

9. Tecnologias à base de laser e energia utilizadas

10. Abordagens a técnicas à base de laser e energia

11. Frequência das sessões de laser/energia

12. Intervalo entre sessões de laser/energia

13. Sequenciamento da aplicação de tecnologias

14. Diretrizes para cuidados intraoperatórios

15. Protocolos de cuidados pós-operatórios

16. Possíveis efeitos adversos

17. Estratégias de seguimento pós-tratamento

Facilitação da Reunião e Coleta de Dados

Durante a reunião, organizada por um facilitador médico (RT) qualificado e neutro, os debates baseados nas respostas ao questionário foram registrados em vídeo. O facilitador guiou a conversa, resumiu as ideias principais e facilitou esclarecimentos para garantir o envolvimento equitativo e a contribuição de todos os participantes. Os debates se concentraram em explicações abrangentes de diferentes métodos de tratamento, a justificativa para determinadas sequências, segurança e efeitos sinérgicos das combinações de tratamento para rejuvenescimento estético facial.

Formação das Diretrizes

Diálogos e debates abertos foram usados para chegar a um consenso sobre possíveis tópicos controversos. Os participantes recorreram às evidências disponíveis, suas experiências clínicas pessoais e suas preocupações para identificar princípios de alta relevância. Essas conversas, complementadas por uma revisão da literatura atual, formaram a base de uma diretriz prática que abrange tratamentos de rejuvenescimento estético facial.

Desenvolvimento e Validação do Manuscrito

As sugestões e observações do painel a partir dos debates foram avaliadas, resultando no desenvolvimento do manuscrito.

Vilarinho A, Haddad A, Cunha C, Nunes F, Del Nero MP, Dal’Forno T.

Surg Cosmet Dermatol. 2025;v.17: n.3 jul-sep. p.267-73.

Posteriormente, esse manuscrito foi sujeitado a revisões iterativas por parte de todos os autores que refinaram progressivamente o conteúdo. Esse processo colaborativo levou à unanimidade sobre oresultado final. As recomendações finais apresentadas neste estudo destilam a experiência e o conhecimento do painel, baseadas na experiência clínica e fundamentadas em dados publicados relativos à intersecção entre AH e tecnologias à base de laser e energia no campo da medicina estética facial concentrada em rejuvenescimento.

RESULTADOS E RECOMENDAÇÕES

Composição do Grupo de Especialistas

A idade média dos especialistas que compunham o grupo era de 48 anos, com uma média de 25 anos de clínica médica, complementados por qualificação avançada adquirida em residências e programas de mestrado e doutorado nas especializações em cirurgia geral, cirurgia plástica, dermatologia e medicina interna. Após discussões aprofundadas, as recomendações a seguir foram formuladas com base em uma combinação de evidências científicas e na experiência clínica coletiva de dermatologistas, cirurgiões plásticos e pesquisadores de renome.

Recomendações Gerais

O grupo enfatizou a importância da seleção e avaliação de pacientes e de considerar o histórico médico destes. As avaliações pré-tratamento devem abranger uma análise detalhada da pele para determinar a formulação de AH e tratamento com tecnologia à base de laser e energia mais adequados para cada paciente. Recomenda-se o uso de planejamento sequencial, com a intervenção com laser/LIP normalmente anterior aos tratamentos com AH, em uma mesma sessão, para otimizar a resposta da pele. Um aspecto fundamental das recomendações foi determinar o intervalo apropriado entre sessões de tratamento com laser/energia e a administração de AH. O grupo reconheceu o potencial para efeitos sinérgicos por meio da combinação de AH e diversas modalidades de laser e terapia de LIP durante a mesma consulta para oferecer melhorias no rejuvenescimento da pele e nos resultados estéticos gerais sem a necessidade de um intervalo mínimo entre os procedimentos, mas se o laser causa inchaço significativo ou maior suscetibilidade a infecções, aconselha-se um intervalo de 7 dias entre o tratamento com laser e a administração de AH. As declarações destacaram a versatilidade das tecnologias à base de laser que podem ser combinadas com AH, incluindo lasers fracionados, tecnologias ablativas, lasers não ablativos e tecnologias não baseadas em lasers, como a terapia de LIP, adaptadas às necessidades de cada paciente e às especificações do fabricante. Também foi debatido o momento ideal para a realização dos procedimentos de laser/LIP antes da administração dos tratamentos com AH, culminando na conclusão de que ointervalo entre as duas intervenções não impacta os resultados estéticos ou de segurança do procedimento, pois a aplicação de laser/LIP pode ser seguida imediatamente pela injeção de AH na mesma sessão, ainda que seja necessário levar com conside-

ração circunstâncias excepcionais relativas a tecnologias predispostas a contaminação ou edema significativo, como observado em lasers com potencial ablativo, como Er:YAG ou CO2. Nesses casos, pode ser necessário adiar a aplicação de AH em 7 dias. A personalização emergiu como um tema recorrente nas recomendações, incentivando os praticantes a adaptar seus planos de tratamento com base nas características individuais dos pacientes e nos resultados desejados, mas ainda levando em consideração as formulações de AH e tecnologias à base de laser e energia (aconselha-se considerar o uso de preenchedores Restylane® NASHA e/ou OBT para projeção vertical e efeitos de volume, combinado com a incorporação de Restylane® Skinboosters™ para a melhoria da qualidade da pele). Além disso, o grupo enfatizou o cuidado pós-tratamento como um elemento crucial para minimizar o tempo de recuperação e os efeitos adversos. As recomendações reconhecem que a combinação de tecnologias à base de laser, ou terapia com LIP e AH geralmente é segura quando administrada por praticantes experientes. Contudo, considerou-se essencial o monitoramento cuidadoso de possíveis reações adversas e a instrução detalhada dos pacientes. O grupo de especialistas reconheceu a importância de manter uma documentação detalhada e destacou a necessidade de mais pesquisas para compreender plenamente os efeitos de longo prazo e as possíveis vantagens da combinação de tratamentos à base de laser e energia com AH.

Resultados das Diretrizes

As diretrizes apresentam os resultados para cada um dos 17 domínios discutidos pelo grupo de especialistas em relação a diversos aspectos da combinação de tratamentos com tecnologias à base de laser e energia e AH. É importante observar que estas recomendações servem como diretrizes e devem ser adaptadas às necessidades específicas de cada paciente e ao cenário dinâmico das tecnologias dermatológicas. Os clínicos são incentivados a se manterem atualizados sobre as novas pesquisas e avanços no campo para oferecerem o mais alto padrão de atendimento quando combinam tecnologias à base de laser e energia com AH para intervenções de rejuvenescimento facial. A tabela 1 apresenta recomendações para o uso ideal de AH combinado com tecnologias à base de laser para garantir a eficácia do rejuvenescimento facial, a tabela 2 apresenta diretrizes para o uso eficaz de tecnologias à base de laser e energia combinadas com AH para obter melhores resultados no rejuvenescimento facial e a tabela 3 oferece recomendações abrangentes para uma abordagem integrada para otimizar os resultados na combinação de tecnologias à base de laser e energia com AH para rejuvenescimento facial.

DISCUSSÃO

Sabe-se que o uso de estratégias terapêuticas integradas para rejuvenescimento facial por meio de protocolos que combinam injeções de AH com a aplicação de laser/energia melhora a satisfação do paciente e produz eficácia sustentada.15 Ainda assim, este artigo busca representar um esforço pioneiro de esta-

Tabela 1: Recomendações para combinação de ácido hialurônico e tecnologias à base de laser e energia no rejuvenescimento facial AH

Critério de seleção de pacientes

Recomendações clínicas

Contraindicações

Preparo pré-operatório

Recomendações principais

Avalie déficits de volume, projeção de tecidos, qualidade da pele (rugas, sulcos, discromia, poros, cicatrizes, vasos dilatados) e a escolha apropriada de laser/LIP para diversos fototipos e pele bronzeada. Considere a tendência à hipercromia pós-inflamatória.

Melhore a qualidade da pele usando laser/LIP e corrija déficits de volume com AH. Locais de tratamento primários: face, pescoço e mãos. Os locais secundários incluem outras regiões corporais e área íntima.

Evite o uso em caso de infecção local. Há maior risco de complicações no caso da presença de preenchedores permanentes como silicone ou PMMA.

Use analgésicos e anestésicos locais conforme necessário. Prepare a pele com um regime de cuidado com a pele apropriado baseado no tipo de laser/LIP, fototipo do paciente e requisitos clínicos.

Variedades de produtos de AH Use preenchedores Restylane® NASHA e/ou OBT, assim como Restylane® SkinboostersTM

Técnicas de injeção de AH

Número de sessões de injeção de AH

Escolha a técnica com base no produto e no sítio anatômico: subdérmico, subcutâneo ou supraperiósteo; cânula ou agulha. Quantidade de AH varia de acordo com local e avaliação individual.

Adapte à avaliação do paciente individual. Para Restylane® SkinboostersTM: 2-4 sessões/ano, 1-3 seringas/área. Outros preenchedores Restylane® NASHA e/ou OBT para projeção vertical e efeitos de volume: 1 sessão/ano/área.

AH: ácido hialurônico; LIP: luz intensa pulsada; PMMA: polimetilmetacrilato

Tabela 2: Recomendações para combinação de tecnologias à base de laser e energia e ácido hialurônico no rejuvenescimento facial

Tecnologias à base de laser e energia

Tecnologias à base de laser e energia utilizadas

Abordagens a técnicas à base de laser e energia

Frequência das sessões de laser/energia

Intervalo entre sessões de laser/energia

Recomendações principais

Selecione o tipo de laser (ou terapia de LIP) com base nos critérios clínicos individuais do paciente. Exemplos incluem lasers fracionados, ablativos e não ablativos. Observe que a LIP tem comportamento semelhante quando combinada com AH.

Escolha a técnica de acordo com as necessidades do paciente e a tecnologia. Use níveis de energia apropriados para prevenir queimaduras, incluindo tempo de aplicação e potência adequados.

Adapte à avaliação do paciente individual, em geral entre 1 e 5 sessões.

A duração varia com a tecnologia empregada, geralmente entre 7 e 30 dias.

Observação: Embora não seja uma forma de tecnologia à base de laser, estas recomendações também se aplicam à terapia de luz intensa pulsada (LIP).

belecer diretrizes práticas para o uso concorrente de tratamentos de AH injetável e tecnologias à base de laser e energia. Enquanto busca atender ao interesse mundial crescente pela medicina estética na área do rejuvenescimento facial, também enfatiza os melhores resultados de tratamentos e a maior sustentabilidade da prática clínica.7,12,16 Em conformidade com achados anteriores,17 ogrupo de especialistas sugere que a determinação da abordagem mais apropriada depende das preferências do paciente, limitações de tempo, fatores anatômicos e considerações financeiras.

Ainda assim, os desafios fundamentais de determinar a extensão da intervenção e o sequenciamento dos seus componentes ainda é uma questão controversa e pouco explorada em estudos clínicos. As opiniões dos especialistas têm um papel chave em guiar a prática baseada em evidências e a promoção da medicina estética, especialmente em contextos clínicos como o atual, marcado pelas limitações da literatura.18,19 Nesse cenário, diretrizes práticas desenvolvidas por consenso unânime e que tratam de tópicos clínicos fundamentais, como aqueles abordadas nestas

Vilarinho A, Haddad A, Cunha C, Nunes F, Del Nero MP, Dal’Forno T.

Surg Cosmet Dermatol. 2025;v.17: n.3 jul-sep. p.267-73.

Tabela 3. Recomendações abrangentes para combinação de ácido hialurônico e tecnologias à base de laser e energia no rejuvenescimento facial

Diretrizes clínicas

Sequenciamento da aplicação de tecnologias

Diretrizes para cuidados intraoperatórios

Protocolos de cuidados pós-operatórios

Possíveis efeitos adversos

Estratégias de seguimento pós-tratamento

LIP: luz intensa pulsada

Recomendações principais

Aplique o laser ou terapia de LIP antes da injeção de AH, possivelmente durante a mesma consulta. Exceção: Se o laser ablativo induz risco de infecção ou edema pós-operatório significativo, adote um intervalo de 7 dias entre o laser e a injeção de AH.

Mantenha a assepsia e antissepsia.

Aplique resfriamento local máscaras calmantes de acordo com o laser utilizado. Use terapia com LED e receite cremes hidratantes, curativos, calmantes ou clareadores com base no diagnóstico. Aconselhe evitar exposição solar e recomende uso de protetor solar com FPS alto até a pele estar completamente recuperada.

Monitore a oclusão vascular e trate hematomas, hipocromia ou hipercromia pós-inflamatória. Cuide de cicatrizes inestéticas e proteja contra infecção local e reativação herpética.

Realize monitoramento remoto (contato telefônico) até 24 horas após o procedimento. Agende seguimento fotográfico para 3 a 6 meses após o procedimento.

recomendações (avaliação do paciente, tecnologias emergentes, tratamento personalizado, questões de segurança e resultados de longo prazo, entre outros), podem se tornar um recurso valioso para praticantes e pacientes em busca de orientações para entender plenamente o campo, seus desafios e o cenário dinâmico dos tratamentos.20,21 De uma perspectiva mais ampla, estas diretrizes práticas abrangem as preferências dos pacientes, déficits de volume e avaliação da qualidade da pele, aliadas à seleção de lasers apropriados com base em fototipos. A ênfase clínica está em melhorar a qualidade da pele com o uso de lasers (ou terapia de LIP) e tratar déficits de volume com AH. A integração do AH com intervenções à base de laser e energia na mesma sessão envolve o sequenciamento das tecnologias antes do AH, com exceções para um intervalo de 7 dias devido a riscos de infecção ou edema. As medidas pré-operatórias envolvem cuidados com a pele e anestesia local. O uso de preenchedores Restylane® NASHA e/ou OBT, além da incorporação de Restylane® Skinboosters™, segue técnicas adaptadas a sítios específicos. O número de sessões depende da avaliação do paciente, com intervalos que variam de 7 a 30 dias. Os cuidados intraoperatórios exigem assepsia, enquanto os cuidados pós-operatórios envolvem máscaras calmantes, terapia com LED e proteção solar. O monitoramento de efeitos adversos, incluindo oclusão vascular, hematomas, pigmentação, cicatrizes e infecção, é essencial, e as estratégias de manejo devem ser orientadas pelo diagnóstico. O seguimento requer monitoramento remoto em até 24 horas e documentação fotográfica de 3 a 6 meses após o procedimento. As recomendações também se aplicam à terapia de LIP, que, embora não seja tecnicamente uma forma de tecnologia a laser, corresponde aos achados de Fodor et al. (2004), e demonstra

seu papel essencial no rejuvenescimento estético facial. A LIP trata de maneira eficaz as diversas preocupações levantadas pelos especialistas médicos, incluindo irregularidades de pigmentação, anomalias vasculares, sinais de envelhecimento, acne e crescimento de pelos indesejados. Essa modalidade não invasiva conta com um perfil de segurança favorável e interrupção mínima, o que a torna uma solução versátil e eficaz para rejuvenescimento e aprimoramento facial abrangentes.22 Dada a predileção dos pacientes contemporâneos por obter rejuvenescimento facial de forma rápida e a baixo custo, é preciso considerar o uso de tratamentos abrangentes em uma mesma sessão, 17 seguindo as recomendações contidas nestas diretrizes práticas, nas quais os pacientes começam com cuidados com a pele de qualidade médica para criar respostas mais favoráveis às intervenções escolhidas, incluindo o uso de preenchimento mínimo. De acordo com esse protocolo, aconselha-se a realização dos procedimentos à base de laser ou LIP antes da injeção de AH porque essa sequência facilita a modulação da textura da pele com um mínimo de edema, oque permite a volumização subsequente com AH.17 A justificativa para esse sequenciamento clínico é a resposta fisiológica da pele induzida pelo tratamento com laser ou LIP. Essa resposta abrange maior espessura dérmica, menor anisotropia da pele e aprimorando clínico evidente, caracterizado por melhor textura, poros menores, melhoria das rugas e melhor flacidez da pele, o que estende coletivamente o período de retenção do preenchimento com AH nas áreas tratadas.22-26 As diretrizes propostas em relação ao volume de AH a ser administrado e a periodicidade do tratamento no contexto da sinergia entre o preenchimento e as tecnologias à base de laser e LIP se fundamentam nas evidências de que a menor espessura dérmica, atribuída à reorganiza-

ção das fibras de colágeno recém-formadas, um fenômeno que pode ocorrer ao longo do tempo, pode levar a prejuízos estéticos visíveis.15,27 Contudo, é importante destacar que o impacto persistente do tratamento com laser/LIP, combinado com os efeitos do AH, especialmente quando baseado em tecnologias de NASHA28 e/ou OBT,29 mantém sua eficácia por até 12 meses.30

Limitações

As diretrizes práticas apresentadas neste artigo se baseiam na experiência concreta de especialistas, embora essa abordagem tenha limitações devido à subjetividade e à falta de padronização. Contudo, a natureza eletiva dos procedimentos estéticos significa que o desenho de estudos de longo prazo abrangentes é um desafio significativo. Assim, o entendimento atual sobre métodos emergentes de rejuvenescimento facial é oriundo principalmente das experiências coletivas de praticantes individuais.17 Portanto, as presentes recomendações se beneficiariam da realização de ensaios clínicos controlados no futuro.19,21

CONCLUSÕES

As melhores práticas para abordagens sinérgicas em intervenções de rejuvenescimento facial envolvem o sequenciamento direto de lasers/LIP antes do AH caso este seja administrado na mesma sessão. Um intervalo de 7 dias devido a riscos de in-

fecção ou edema é aconselhável quando lasers com potencial ablativo são utilizados. A aplicação de preenchedores Restylane® NASHA e/ou OBT combinados com tecnologias segue técnicas adaptadas a sítios e produtos específicos, enquanto o número de sessões depende da avaliação do paciente. Os cuidados intraoperatórios exigem assepsia, enquanto os cuidados pós-operatórios envolvem máscaras calmantes, terapia com LED, proteção solar e tratamento tópico personalizado. O monitoramento e o manejo de efeitos adversos são cruciais. O seguimento se baseia no monitoramento remoto em até 24 horas e documentação fotográfica de 3 a 6 meses após o procedimento. Além disso, a realização estratégica de intervenções à base de laser e energia antes dos tratamentos com AH na mesma sessão para otimizar os efeitos sinérgicos e, por consequência, aprimorar os resultados do tratamento durante uma única sessão também pode ser consistente com as preferências contemporâneas do paciente enquanto fortalece as perspectivas de negócios no campo da estética facial. Com base na sua experiência e conhecimento, ogrupo de especialistas enfatiza que a combinação de preenchedores Restylane® NASHA e/ou OBT com lasers ou LIP é uma estratégia segura e eficaz para otimizar desfechos clínicos no campo da medicina estética. l

REFERÊNCIAS:

1. Sadick NS, Manhas-Bhutani S, Krueger N. A novel approach to structural facial volume replacement. Aesthetic Plast Surg. 2013;37(2):266-76.

2. Hart DR, Fabi SG, White WM, Fitzgerald R, Goldman MP. Current concepts in the use of PLLA: clinical synergy noted with combined use of microfocused ultrasound and poly-l-lactic acid on the face, neck, and décolletage. Plast Reconstr Surg. 2015;136(5 Suppl):180S-7S.

3. Urdiales-Gálvez F, Martín-Sánchez S, Maíz-Jiménez M, Castellano-Miralla A, Lionetti- Leone L. Concomitant use of hyaluronic acid and laser in facial rejuvenation. Aesthetic Plast Surg. 2019;43(4):1061-70. Erratum in: Aesthetic Plast Surg. 2019 Sep 17.

4. Melo F, Carrijo A, Hong K, Trumbic B, Vercesi F, Waldorf HA, et al. Minimally invasive aesthetic treatment of the face and neck using combinations of a PCL-based collagen stimulator, plla/plga suspension sutures, and cross-linked hyaluronic acid. Clin Cosmet Investig Dermatol. 2020;13:333-44.

5. Bertossi D, Giampaoli G, Lucchese A, Manuelli M, Albanese M, Nocini R, et al. The skin rejuvenation associated treatment-fraxel laser, Microbotox, and low G prime hyaluronic acid: preliminary results. Lasers Med Sci. 2019;34(7):1449-55.

6. Langelier N, Beleznay K, Woodward J. Rejuvenation of the upper face and periocular region: combining neuromodulator, facial filler, laser, light, and energy-based therapies for optimal results. Dermatol Surg. 2016;42(Suppl 2):S77-82.

7. Goldman MP, Alster TS, Weiss R. A randomized trial to determine the influence of laser therapy, monopolar radiofrequency treatment, and intense pulsed light therapy administered immediately after hyaluronic acid gel implantation. Dermatol Surg. 2007;33(5):535-42.

8. Rzany B, Cartier H, Kestemont P, Trevidic P, Sattler G, Kerrouche N, et al. Full-face rejuvenation using a range of hyaluronic acid fillers: efficacy, safety, and patient satisfaction over 6 months. Dermatol Surg. 2012;38(7 Pt 2):1153-61.

9. Philipp-Dormston WG, Schuster B, Podda M. Perceived naturalness of facial expression after hyaluronic acid filler injection in nasolabial folds and lower face. J Cosmet Dermatol. 2020;19(7):1600-6.

10. Weiss RA, Moradi A, Bank D, Few J, Joseph J, Dover J, et al. Effectiveness and safety of large gel particle hyaluronic acid with lidocaine for correction of midface volume deficit or contour deficiency. Dermatol Surg. 2016;42(6):699-709. Erratum in: Dermatol Surg. 2016;42(10):1233.

11. Jones DH, Hessler J, Chapas A, Jonas B, Crider J, Chopra R. Microcannula injection of large gel particle hyaluronic acid for cheek augmentation and the correction of age- related midface contour deficiencies. Dermatol Surg. 2020;46(4):465-72.

12. Kim H, Park KY, Choi SY, Koh HJ, Park SY, Park WS, et al. The efficacy, longevity, and safety of combined radiofrequency treatment and hyaluronic acid filler for skin rejuvenation. Ann Dermatol. 2014;26(4):447-56.

13. Akerman L, Mimouni D, Nosrati A, Hilewitz D, Solomon-Cohen E. A Combination of non-ablative laser and hyaluronic acid injectable for postacne scars: a novel treatment protocol. J Clin Aesthet Dermatol. 2022;15(3):53-6.

14. Hsu SH, Chung HJ, Weiss RA. Histologic effects of fractional laser and radiofrequency devices on hyaluronic acid filler. Dermatol Surg. 2019;45(4):552-6.

15. Leheta T, El Garem Y, Hegazy R, Abdel Hay RM, Abdel Halim D. Non-ablative 1540 fractional laser: how far could it help injection lipolysis and dermal fillers in lower-face rejuvenation? A randomized controlled trial. J Cosmet Laser Ther. 2013;15(1):13-20.

16. Kim JE, Hong JY, Lee HJ, Lee SY, Kim HJ. Picosecond-domain fractional laser treatment over hyaluronic acid fillers: in vivo and clinical studies. Lasers Surg Med. 2020;52(10):928-34.

17. Kontis TC, Bunin L, Fitzgerald R. Injectable fillers: panel discussion, controversies, and techniques. Facial Plast Surg Clin North Am. 2018;26(2):225-36.

18. Carruthers J, Burgess C, Day D, Fabi SG, Goldie K, Kerscher M, et al. Consensus recommendations for combined aesthetic interventions in the face using botulinum toxin, fillers, and energy-based devices. Dermatol Surg. 2016;42(5):586-97.

19. Signorini M, Liew S, Sundaram H, De Boulle KL, Goodman GJ, Monheit G, et al. Global aesthetics consensus: avoidance and management of complications from hyaluronic acid fillers-evidence- and opinion-based review and consensus recommendations. Plast Reconstr Surg. 2016;137(6):961e-71e.

20. Philipp-Dormston WG, Bergfeld D, Sommer BM, Sattler G, Cotofana S, Snozzi P, et al. Consensus statement on prevention and management of adverse effects following rejuvenation procedures with hyaluronic acid-based fillers. J Eur Acad Dermatol Venereol. 2017;31(7):1088-95.

21. Urdiales-Gálvez F, Delgado NE, Figueiredo V, Lajo-Plaza JV, Mira M, Ortíz-Martí F, et al. Preventing the complications associated with the use of dermal fillers in facial aesthetic procedures: an expert group consensus report. Aesthetic Plast Surg. 2017;41(3):667-77.

22. Fodor L, Peled IJ, Rissin Y, Ramon Y, Shoshani O, Eldor L, et al. Using intense pulsed light for cosmetic purposes: our experience. Plast Reconstr Surg. 2004;113(6):1789-95.

23. Ross EV, Sajben FP, Hsia J, Barnette D, Miller CH, McKinlay JR. Nonablative skin remodeling: selective dermal heating with a mid-infrared laser and contact cooling combination. Lasers Surg Med. 2000;26(2):186-95.

24. Fournier N, Dahan S, Barneon G, Diridollou S, Lagarde JM, Gall Y, et al. Nonablative remodeling: clinical, histologic, ultrasound imaging, and profilometric evaluation of a 1540 nm Er:glass laser. Dermatol Surg. 2001;27(9):799-806.

CONTRIBUIÇÃO DOS AUTORES:

Adriana Vilarinho 0009-0006-7381-6299

25. Fournier N, Dahan S, Barneon G, Rouvrais C, Diridollou S, Lagarde JM, et al. Nonablative remodeling: a 14-month clinical ultrasound imaging and profilometric evaluation of a 1540 nm Er:glass laser. Dermatol Surg. 2002;28(10):926-31.

26. Lupton JR, Williams CM, Alster TS. Nonablative laser skin resurfacing using a 1540 nm erbium glass laser: a clinical and histologic analysis. Dermatol Surg. 2002;28(9):833-5.

27. Imayama S, Braverman IM. A hypothetical explanation for the aging of skin. Chronologic alteration of the three-dimensional arrangement of collagen and elastic fibers in connective tissue. Am J Pathol. 1989;134(5):1019-25.

28. Cartier H, Hedén P, Delmar H, Bergentz P, Skoglund C, Edwartz C, et al. Repeated full- face aesthetic combination treatment with abobotulinumtoxinA, hyaluronic acid filler, and skin-boosting hyaluronic acid after monotherapy with abobotulinumtoxinA or hyaluronic acid filler. Dermatol Surg. 2020;46(4):475-82.

29. Hedén P, Hexsel D, Cartier H, Bergentz P, Delmar H, Camozzato F, et al. Effective and safe repeated full-face treatments with abobotulinumtoxinA, hyaluronic acid filler, and skin boosting hyaluronic acid. J Drugs Dermatol. 2019;18(7):682-9.

30. Carruthers JDA, Glogau RG, Blitzer A; Facial Aesthetics Consensus Group Faculty. Advances in facial rejuvenation: botulinum toxin type A, hyaluronic acid dermal fillers, and combination therapies--consensus recommendations. Plast Reconstr Surg. 2008;121(5 Suppl):5S-30S.

Aprovação da versão final do manuscrito, Concepção e planejamento do estudo, Elaboração e redação do manuscrito, Obtenção, análise e interpretação dos dados, Participação efetiva na orientação da pesquisa, Participação intelectual em conduta propedêutica e/ou terapêutica de casos estudados, Revisão crítica da literatura, Revisão crítica do manuscrito.

Alessandra Haddad 0000-0002-5552-7251

Aprovação da versão final do manuscrito, Concepção e planejamento do estudo, Elaboração e redação do manuscrito, Obtenção, análise e interpretação dos dados, Participação efetiva na orientação da pesquisa, Participação intelectual em conduta propedêutica e/ou terapêutica de casos estudados, Revisão crítica da literatura, Revisão crítica do manuscrito.

Cintia Cunha 0009-0009-4919-4882

Aprovação da versão final do manuscrito, Concepção e planejamento do estudo, Elaboração e redação do manuscrito, Obtenção, análise e interpretação dos dados, Participação efetiva na orientação da pesquisa, Participação intelectual em conduta propedêutica e/ou terapêutica de casos estudados, Revisão crítica da literatura, Revisão crítica do manuscrito.

Fernanda Nunes 0009-0002-2057-7344

Aprovação da versão final do manuscrito, Concepção e planejamento do estudo, Elaboração e redação do manuscrito, Obtenção, análise e interpretação dos dados, Participação efetiva na orientação da pesquisa, Participação intelectual em conduta propedêutica e/ou terapêutica de casos estudados, Revisão crítica da literatura, Revisão crítica do manuscrito.

Maria Paula Del Nero 0000-0002-5369-3504

Aprovação da versão final do manuscrito, Concepção e planejamento do estudo, Elaboração e redação do manuscrito, Obtenção, análise e interpretação dos dados, Participação efetiva na orientação da pesquisa, Participação intelectual em conduta propedêutica e/ou terapêutica de casos estudados, Revisão crítica da literatura, Revisão crítica do manuscrito.

Taciana Dal'Forno 0000-0003-0848-9042

Aprovação da versão final do manuscrito, Concepção e planejamento do estudo, Elaboração e redação do manuscrito, Obtenção, análise e interpretação dos dados, Participação efetiva na orientação da pesquisa, Participação intelectual em conduta propedêutica e/ou terapêutica de casos estudados, Revisão crítica da literatura, Revisão crítica do manuscrito.

www.surgicalcosmetic.org.br/

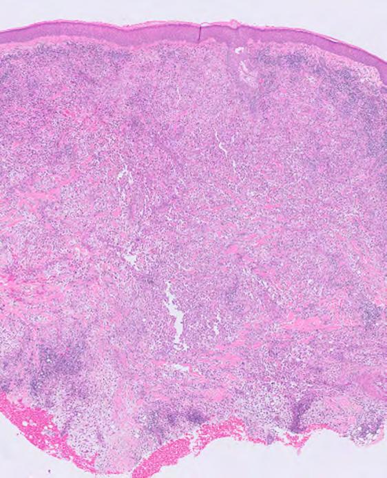
Avanços na avaliação e tratamento de granulomas de corpo estranho

causados por ácido hialurônico: uma revisão sistemática

Advances in evaluation and management of hyaluronic acid-induced foreign body granulomas: a systematic review

DOI: http://www.dx.doi.org/10.5935/scd1984-8773.2025170457

RESUMO

Foi realizada uma revisão sistemática seguindo os critérios da declaração Preferred Reporting Items for Systematic Reviews and Meta-Analyses (PRISMA) de casos de granuloma de corpo estranho (GCE) causados por ácido hialurônico (AH). Foram incluídos 27 pacientes de GCE causado por preenchimento com AH encontrados na literatura. Estima-se que a incidência de GCE causado por AH seja de 0,02%0,6%.Vários fatores estão envolvidos, incluindo agentes de reticulação e impurezas. Nódulos assintomáticos são a apresentação clínica mais frequente, mas outras lesões podem ser observadas. Embora o estudo histopatológico seja o padrão-ouro para diagnóstico, a ultrassonografia é uma ferramenta promissora. As opções de tratamento incluem conduta expectante, hialuronidase, corticoides, 5-fluorouracil e cirurgia. Palavras-chave: Ácido Hialurônico; Preenchedores Dérmicos; Granuloma de Corpo Estranho.

Artigo de Revisão

Autores:

Lina María Osorio Cock1

Jaime Alberto Rengifo Palacios1

María Paulina Uribe Posada1

María Alejandra Sarabia de Capozzi2

María Aida Angulo Morillo3

1 Universidad Pontificia Bolivariana (UPB), Departamento de Dermatologia, Medellín, Antioquia, Colômbia

2 Sociedad Venezolana de Dermatología, Sociedad Venezolana de Dermatología, Valencia, Carabobo, Venezuela

3 Hospital Oncológico Dr. Miguel Pérez Carreño, Departamento de Patologia, Valencia, Carabobo, Venezuela

Correspondência:

Lina María Osorio Cock

E-mail: lina.osorio.co@gmail.com / lina.osorioc@upb.edu.co

ABSTRACT

We conducted a systematic review following the Preferred Reporting Items for Systematic Reviews and Meta-Analyses (PRISMA) of cases of foreign body granuloma (FBG) induced by hyaluronic acid (HA). A total of 27 patients with HA filler-induced FBG reported in literature were included. The estimated incidence of HA-induced FBG is 0.02%-0.6%. Several factors are involved, including cross-linking agents and impurities. The most frequent clinical presentation is asymptomatic nodules, although other lesions may occur. Histopathological examination is the gold standard for diagnosis, but ultrasound is a promising tool. Treatment options include expectant management, hyaluronidase, corticosteroids, 5-fluorouracil, and surgery.

Keywords: Hyaluronic Acid; Dermal Fillers; Granuloma, Foreign-Body.

Fonte de financiamento: Nenhuma. Conflito de interesse: Nenhum.

Data de submissão: 27/03/2025. Decisão final: 02/07/2025.

Como citar este artigo: Osorio Cock LM, Rengifo Palacios JA, Uribe Posada MP, Sarabia de Capozzi MA, Angulo Morillo MA. Avanços na avaliação e tratamento de granulomas de corpo estranho causados por ácido hialurônico: uma revisão sistemática Surg Cosmet Dermatol. 2025;17;e20250457.

Osorio

INTRODUÇÃO

A injeção de ácido hialurônico (AH) é o segundo procedimento estético não cirúrgico mais comum, com um aumento de 28,9% nos últimos 5 anos.1 Embora minimamente invasiva, pode levar a complicações. Normalmente, as complicações se dividem em 3 grupos, com base no tempo de início: precoce (até 14 dias), tardia (14 dias a 1 ano) e atrasadas (mais de 1 ano).2 Entre as complicações tardias e atrasadas, cabe ressaltar os granulomas de corpo estranho (GCE). O GCE é uma reação inflamatória histológica a um antígeno caracterizada pela agregação de macrófagos e células gigantes de corpo estranho.3

Sob circunstâncias normais, o AH se integra aos tecidos sem infiltrados inflamatórios ou alterações epidérmicas ou dérmicas.4 Com poucos relatos e estudos disponíveis na literatura, o GCE causado por AH parece ser raro, com frequência estimada de 0,02% a 0,4% em revisões retrospectivas.5 Contudo, as biópsias necessárias para a confirmação histológica raramente são realizadas devido a preocupações relativas aos desfechos cosméticos das complicações decorrentes de procedimentos estéticos. Logo, suspeita-se de subdiagnóstico e ainda não se sabe ao certo se os achados histológicos estão correlacionados com os diagnósticos clínicos e por imagem correntes.

O resultado é que há poucos estudos disponíveis e o tratamento empírico continua a ser a norma, com desfechos variáveis. O objetivo deste estudo é revisar relatos de caso e séries de casos na literatura para promover o melhor entendimento, explorar métodos diagnósticos alternativos e propor abordagens de tratamento mais precisas e eficazes.

MÉTODO DE BUSCA DA LITERATURA

A presente revisão sistemática foi conduzida de acordo com a declaração Preferred Reporting Items for Systematic Reviews and Meta-Analyses (PRISMA) em janeiro de 2025. Foi realizada uma busca em linguagem natural para identificar artigos potencialmente relevantes. Os termos de busca utilizados foram “hyaluronic acid” e “granuloma”, combinados com o operador booleano “AND”. O campo Title/Abstract foi aplicado nas bases de dados PubMed, Embase, Scopus e LILACS.

Os critérios de inclusão foram estudos primários, relatos de caso ou séries de caso que descrevessem GCE causado por preenchimento com AH. Os critérios de exclusão foram não atender aos critérios de inclusão (razão 1), ausência de confirmação histopatológica de GCE (razão 2), combinação com outros preenchedores (razão 2), aplicações geniturinárias (razão 3) e estudos em animais (razão 4). Não foi aplicada nenhuma restrição de idioma ou de tempo. Após a triagem, 17 foram incluídos (Figura 1). Os artigos foram revisados manualmente e os dados extraídos para formulários do Excel. Os estudos incluídos estão apresentados nos resultados.

RESULTADOS

Identificamos 17 relatos de caso ou séries de caso de GCE causado por AH, totalizando 32 pacientes. Todos os pa-

cientes eram do sexo feminino, com exceção de 1 do sexo masculino. Um estudo focado em histologia relatou 5 casos de GCE causado por preenchimento com AH entre outros preenchedores dérmicos; contudo, uma vez que os dados clínicos foram apresentados apenas como médias e modas que incluíam outros preenchedores, o estudo não foi incluído na análise subsequente. Os casos estão resumidos na Tabela 1.

Tabela 1. Resumo dos casos relatados. Ressonância magnética (RM), tomografia computadorizada (TC) e ultrassonografia (US). A idade média dos pacientes foi de 44 anos (21–70) e o tempo até início médio foi de 35 meses (0,5-120). O Juvederm foi o produto informado com maior frequência, mas, na maioria dos casos, o produto utilizado era desconhecido ou não foi informado. No total, 4 casos descreveram fatores contextuais meses antes do início, incluindo limpeza dentária, blefaroplastia, vacina para COVID-19 e diagnóstico e tratamento de câncer de mama. Nódulos e massas, tanto inflamatórios quanto não inflamatórios, foram as apresentações clínicas mais comuns, mas placas inflamatórias, pápulas, lesões de aspecto cicatricial e bolhas que evoluíram para manifestações ulcerativas ou fibróticas também foram relatadas. As áreas afetadas com mais frequência foram a perioral (n = 8), as bochechas (n = 7), a periocular (n = 5) e o nariz (n = 2), entre outras. Os métodos de imagem incluíram RM, TC e US. A cirurgia foi o tratamento mais comum e, em geral, produziu desfechos favoráveis, embora corticoides, antibióticos e hialuronidase também tenham sido utilizados.

DISCUSSÃO

Epidemiologia

Aproximadamente 15 anos atrás, revisões retrospectivas estimavam a frequência de GCE causado por AH em 0,02%0,4%.5 Uma metanálise mais recente com 1.496 participantes submetidos a preenchimento labial com AH informou uma frequência de 0,6%.23 Em contraste, uma análise retrospectiva de 492 pacientes submetidos a rinoplastia não cirúrgica com AH não observou casos de GCE.24

Essa variabilidade provavelmente se deve a múltiplos fatores, como será discutido posteriormente nas seções sobre patogênese e etiologia. Contudo, as discrepâncias na terminologia (isto é, nódulos de início tardio [NITs], nódulos inflamatórios, nódulos não inflamatórios, granulomas) e na metodologia diagnóstica também contribuíram, como discutido posteriormente. Ao considerar os NITs, a base de dados Manufacturer and User Facility Device Experience (MAUDE) do US Food and Drug Administration (FDA), agência regulatória do governo dos Estados Unidos, mostrou que 71,8% das reações atrasadas eram nódulos (42,1% inflamatórios e 29,7% não inflamatórios), enquanto 6,7% eram granulomas, sem uma classificação distinta.25 Outro estudo retrospectivo observou uma incidência geral de NITs de 0,33% em 2.139 pacientes submetidos a injeções de AH. Destes, 7 pacientes apresentaram NITs, mas apenas 1 biópsia foi realizada, confirmando GCE.6

Cock LM, Rengifo Palacios JA, Uribe Posada MP, Sarabia de Capozzi MA, Angulo Morillo.

Tabela 1: Resumo dos casos relatados

Referência Sexo Idade Produto Tempo até início (meses) Gatilho Local

1(6) Feminino 70 Juvederm 3 Limpeza dentária

2(7) Feminino 52 IMEIK 4

Blefaroplastia

Maçãs do rosto e mento

Apresentação Clínica Exames de Imagem Tratamento Desfechos

Nódulos NÃO Esteroides orais e intralesionais Persistência

Glabela, pálpebras e pescoço Eritema e edema NÃO

3(8) Feminino 40 Juvederm 0,5 Vacina para COVID-19 Sulco lacrimal Eritema e edema NÃO

4(9) Feminino 49 NÃO 120 NÃO Sulco lacrimal

5(9) Feminino 43 NÃO 120 NÃO Sulco lacrimal

Nódulo

Anti-histamínicos orais, esteroides topicais e intramusculares Resolução

Hialuronidase, antibióticos, cirurgias e esteroides intralesionais Resolução

RM com contraste: espessamento de tecidos moles com realce Cirurgia Resolução

Nódulo RM: massa de tecidos moles com realce difuso Cirurgia Resolução

6(10) Feminino 36 NÃO 48 NÃO Bochecha Nódulo US: ecogenicidade reduzida Cirurgia Resolução

7(10) Feminino 48 NÃO NÃO NÃO Lábio superior Nódulo NÃO Cirurgia Resolução

8(10) Feminino 47 NÃO 96 NÃO Mento e têmporas

Nódulo NÃO Cirurgia Resolução

9(10) Feminino 26 NÃO 12 NÃO Bochechas Nódulos NÃO Cirurgia Resolução 10(10) Feminino 35 NÃO 117 NÃO Bochecha Nódulos NÃO Cirurgia Resolução 11(10) Feminino 33 NÃO 12 NÃO Mandíbula Nódulo US: abscesso linfonodal Cirurgia Resolução

12(10) Feminino 37 NÃO 60 NÃO Lábio superior Nódulo NÃO Cirurgia Resolução

13(10) Feminino 22 NÃO 12 NÃO Mento Nódulo NÃO Cirurgia Resolução

14(10) Feminino 50 NÃO 24 NÃO Bochecha Nódulo US: ecogenicidade reduzida Cirurgia Resolução

15(10) Feminino 50 NÃO 36 NÃO Mento Nódulo NÃO Cirurgia Resolução 16(11) Feminino 45 NÃO 117 NÃO Bochecha Nódulo NÃO Cirurgia Resolução

17(12) Feminino 49 Juvima e Aliassin 10 NÃO Sulco lacrimal Nódulo TC: espessamento de tecidos moles com realce Cirurgia Resolução

18(13) Feminino 48 NÃO 2 NÃO Lábio superior Nódulo NÃO Cirurgia Resolução

19(14) Feminino 52 NÃO 24 Câncer de mama Boca Massa TC: lesão fibrótica Cirurgia Resolução

20(15) Feminino 50 Restylane 0,5 NÃO Bochechas Bolhas que levaram a úlceras de pele TC: osteíte Cirurgia, corticoides, antibióticos Persistência

21(16) Feminino 70 NÃO 72 NÃO Braços Nódulos NÃO Esteroides orais Recidiva 22(17) Masculino 31 NÃO 6 NÃO Nariz Massa inchada NÃO Cirurgia NÃO

23(18) Feminino 57 Juvederm 2 NÃO Pálpebra Massa NÃO Cirurgia Resolução

24(19) Feminino 61 NÃO 12 NÃO Boca Nódulo

TC: lesão inflamatória com densidade igual à do músculo US: lesão hipoecoica heterogênea com penetração em estrutura vascular Cirurgia Resolução

25(20) Feminino 21 Restylane 10 NÃO Nariz Nódulo NÃO Cirurgia Resolução

26(21) Feminino 54 Perlane 12 Lábios superiores Nódulos NÃO Cirurgia Resolução

27(22) Feminino 36 NÃO 33 Lábio superior Tecido de aspecto cicatricial NÃO Cirurgia NÃO

Identificação

Osorio Cock LM, Rengifo Palacios JA, Uribe Posada MP, Sarabia de Capozzi MA, Angulo Morillo.

Identificação de estudos via bancos de dados e registros

Registros identificados de:*

PubMed n = 94

Embase n = 110

LILACS n = 3

Scopus n = 158

Bases de dados (n = 365)

Registros triados (n = 182)

Relatos buscados para recuperação (n = 182)

Relatos avaliados para elegibilidade (n = 180)

Incluídos

Registros removidos antes da triagem:

Registros duplicados removidos (n =183)

Registros excluídos** (n = 0)

Relatos excluídos:

Razão 1 (n = 91)

Razão 2 (n = 19)

Razão 2 (n = 16)

Razão 3 (n = 5)

Razão 4 (n = 33)

Relatos não recuperados (n = 2)

Estudos incluídos na revisão (n = 17)

1. Fluxograma do processo de seleção de estudos da declaração Preferred Reporting Items for Systematic Reviews and Meta-Analyses

Esses achados sugerem que o GCE causado por AH pode ser subdiagnosticado, pois biópsias raramente são realizadas devido a preocupações com desfechos cosméticos desfavoráveis após procedimentos estéticos.26

Patogênese

Embora acredite-se que o AH geralmente se integre aos tecidos sem inflamação,4 alguns estudos sugerem a presença de uma reação inflamatória leve que passa despercebida, caracterizada por uma população discreta de macrófagos com citoplasma vacuolizado e raras pequenas células gigantes, o que reflete a reabsorção normal.27 Em comparação, os GCEs, caracterizados pela agregação de macrófagos e células gigantes de corpo estranho, são formados em 4 fases3:

Reconhecimento e inflamação: A implantação de material estranho é seguida por uma resposta imune inata que envol-

ve leucócitos polimorfonucleares (principalmente neutrófilos) junto com ativação do complemento e liberação de citocinas.

Adesão de macrófagos: A evolução da inflamação direciona monócitos, por meio da sinalização de citocinas, a migrarem para os tecidos e se diferenciarem em macrófagos.

Fusão de macrófagos: A agregação e fusão de macrófagos, mediada por interleucina-4 e interleucina-13, provavelmente ocorre em resposta ao tamanho da partícula, o que leva à formação de células gigantes de corpo estranho.

Crosstalk entre macrófagos e células gigantes de corpo estranho: Ambos os tipos de célula secretam citocinas que recrutam e ativam fibroblastos, levando à formação de uma cápsula fibrosa ao redor do material estranho.

Os GCEs causados por AH são considerados uma reação anormal ou exagerada a estímulos exógenos, muitas vezes descritos como uma alergia ou hipersensibilidade. Embora o papel

Figura
Triagem

central dos macrófagos seja conhecido, uma reação de hipersensibilidade tipo IVa é inferida.28 Contudo, essa reação é uma resposta mediada por células T e a extensão da participação do sistema imune adaptativo ainda é controversa. Foram identificadas células T em relatos de caso de GCE causado por AH e há a hipótese de que elas perpetuam a ativação contínua de macrófagos ao redor do granuloma.9,12,15,20,22,29 Em contraste, uma série de 18 biópsias de pacientes com eventos adversos inflamatórios de início tardio a diversos preenchedores, incluindo AH, não observou células imunes positivas para CD3, correspondentes a populações de células T.30 Além disso, alguns autores não informaram efeitos adversos após reexposição a AH, o que leva à hipótese de que o GCE causado por AH pode não representar uma reação de hipersensibilidade tipo IVa.5,6 Ainda assim, os testes diagnósticos para reações de hipersensibilidade tipo IV têm sensibilidade e especificidade limitadas.31 O teste de contato é considerado o padrão-ouro no diagnóstico da hipersensibilidade tipo IV,32 mas sua sensibilidade e especificidade para erupções medicamentosas de hipersensibilidade atrasada são de 32% e 92%, respectivamente,33 o que indica um alto índice de falsos negativos. Outro fator considerado com menos frequência é o possível papel do AH como adjuvante em respostas imunes.34

Etiologia

O AH é um glicosaminoglicano naturalmente presente no corpo humano e, portanto, em circunstâncias normais não deve ser reconhecido como estranho pelo sistema imunológico. Ainda assim, o AH funciona como um componente da matriz extracelular e serve como substrato adesivo para a migração celular, o que pode fortalecer as respostas imunes.34 Foram propostos diversos mecanismos como possíveis gatilhos antigênicos do GCE causado por AH10,35,36:

Cross-linker: Agentes como 1,4-butanodiol diglicidil éter (BDDE), metacrilamida, hidrazida, carbodiamida, divinil sulfona e polietilenoglicol diglicidil éter são usados para atrasar a degradação de AH por hialuronidases endógenas. Esse efeito é obtido por meio da ligação covalente entre moléculas de AH, oque reduz a exposição enzimática. Atualmente, o BDDE é o cross-linker mais usado devido à sua estabilidade, biodegradabilidade e longo histórico de segurança. O BDDE residual não reagido em níveis < 2 ppm é considerado seguro, mas os subprodutos nem sempre são avaliados de forma adequada.37

Impurezas: Durante a produção, o AH pode entrar em contato com moléculas indesejadas. Traços de aço inoxidável, alumínio, silício, hidróxido de sódio e endotoxinas estreptocócicas foram identificados. Os limites estabelecidos para material particulado em seringas pré-preenchidas são 6.000 e 600 por recipiente para partículas ≥ 10 µm e ≥ 25 µm, respectivamente.35,38

Infecção: Reações de início tardio, incluindo GCE, foram relatadas após infecções, provavelmente devido à inoculação em preenchedores dérmicos implantados anteriormente e respostas inflamatórias subsequentes.39 Vários autores associam a formação de granulomas com o desenvolvimento de biofilmes.13

Os biofilmes sobre superfícies de AH podem permitir infecções persistentes com resposta imune mínima do hospedeiro.10 Sistema imune: O GCE é um achado frequente após desafios imunológicos como vacinação, infecções e procedimentos dentários. Casos de hipersensibilidade atrasada a AH após doenças semelhantes à gripe foram descritos.31 Em um estudo de 2.139 pacientes tratados com AH, 7 desenvolveram NITs, 6 dos quais foram submetidos a procedimentos dentários 1-168 dias antes da formação dos nódulos. Também foi observado um padrão sazonal, com a maioria dos casos (71%) ocorridos entre setembro e dezembro.6 Outro estudo de 3.255 pacientes que receberam 8.067 seringas de preenchimento informaram maiores índices de granuloma no período pós-COVID-19 (0,3% vs 0,0%, P = 0,009).40 Ambas a infecção por COVID-19 e a vacinação foram implicadas, pois a reexposição parece provocar respostas mais rápidas.41,42 A proteína spike do SARS-CoV-2, que se liga aos receptores da enzima conversora de angiotensina 2 (ECA2), favorece uma cascata inflamatória local do tipo Th1, o que promove reações mediadas por células T CD8+ a granulomas incipientes.43 Um estado imunológico elevado pode permitir o reconhecimento de antígenos não detectados anteriormente, o que provoca a inflamação granulomatosa.35

Peso molecular do AH: Sabe-se que o AH de baixo peso molecular (< 1.000 kDa) é pró-inflamatório, enquanto o AH de alto peso molecular geralmente é considerado anti-inflamatório.44 A tecnologia Vycross foi associada a maiores índices de NITs,6,25 embora isso continue a ser controverso, pois a degradação do AH inerentemente liberaria fragmentos de baixo peso molecular.35

Volume e técnica de injeção: Em um estudo de 4.500 pacientes, aqueles que desenvolveram NITs haviam recebido um volume de injeção acumulado maior (5,0 mL) em comparação com aqueles sem nódulos (volume acumulado 0,5-1,5 mL menor), o que sugere que o volume é um fator de risco.45 Outros estudos, contudo, não replicaram esse achado.6 O consenso dos especialistas sugere ainda assim que volumes de bolus maiores podem aumentar o risco de GCE e outras complicações.46 Injeções repetidas utilizando a técnica de gotículas e a profundidade incorreta de aplicação também têm sido implicadas,36 o que está de acordo com a maior vigilância imune nos tecidos dérmicos em comparação com a gordura subcutânea e planos mais profundos.

Manifestações clínicas

Relatos documentam o GCE causado por AH desde poucas semanas após a injeção até 10 anos após o procedimento. Essa variabilidade questiona o valor clínico de categorizar as complicações relacionadas a AH em apresentações precoces, tardias ou atrasadas.2 O histórico do paciente muitas vezes não tem particularidades e os clínicos podem não estar cientes de procedimentos cosméticos anteriores.47

O GCE causado por AH parece ser mais comum em áreas periorificiais, semelhante aos NITs. As áreas afetadas com mais frequência são os lábios (41,1%), seguidos pelas dobras nasolabiais

Osorio Cock LM, Rengifo Palacios JA, Uribe Posada MP, Sarabia de Capozzi MA, Angulo Morillo. (23,6%), linhas de marionete (22,1%), região perioral (19,3%) e sulcos lacrimais (12,1%).25 Padrões semelhantes foram observados com outros preenchedores dérmicos.48 Essas regiões podem ser mais suscetíveis a complicações devido a movimentos repetitivos e a pontos de origem e inserção fixos, que facilitam a deposição do preenchedor e aumentam o risco de formação de GCE.

Em uma revisão de 11 casos de GCE orofacial após injeção de AH, a apresentação mais comum foi de nódulos não inflamatórios,10 o que é consistente com os achados neste relato. Contudo, manifestações atípicas também foram descritas, incluindo lesões maculopapulares,7 pápulas, placas,49 lesões de aspecto cicatricial22 e bolhas que evoluem para alterações ulcerativas-fibróticas,15 ocasionalmente associadas com sinais inflamatórios como eritema e/ou edema.50 Por consequência, categorizar oGCE exclusivamente sob grupos clínicos mais amplos como “NITs”, “nódulos inflamatórios” ou “nódulos não inflamatórios”26 é uma prática imprecisa e não diagnóstica.

Patologia

Em uma revisão retrospectiva de 6 pacientes submetidos a biópsias para nódulos faciais que persistiram > 3 meses após injeção de AH, 4 casos foram classificados como nódulos “não granulomatosos” que continham apenas AH, enquanto 2 foram identificados como nódulos granulomatosos.51 A reabsorção normal é caracterizada por populações discretas de macrófagos com citoplasma vacuolizado e pequenas células gigantes ocasionais.27

Em uma revisão histopatológica de 15 casos, reações granulomatosas de corpo estranho a preenchimento com AH foram caracterizadas predominantemente por vacúolos de material basofílico cercados por histiócitos em paliçada, com números variáveis de eosinófilos e células gigantes de corpo estranho.52 Múltiplas colorações podem ser usadas para identificar depósitos de AH. Hematoxilina-eosina revela o AH como cinza a azul-claro, enquanto azul de alcian e ferro coloidal demonstram o AH como azul brilhante a azul esverdeado. Embora a segunda opção ofereça melhor visualização, seu uso não é obrigatório.53 Morfologicamente, preenchedores de AH bifásicos em geral parecem granulares, filamentosos ou delgados, enquanto o AH monofásico costuma ser amorfo.10

Avaliação

Os estudos de imagem podem apoiar a investigação diagnóstica do GCE causado por AH. Os achados US normalmente incluem lesões hipoecoicas com ecos particulados internos, hipoecogenicidade periférica, aumento da vascularização dentro e ao redor dos depósitos e maior ecogenicidade e espessura do tecido subcutâneo.54–56 Por outro lado, alguns dos depósitos são descritos como áreas anecoicas com bordas claras e regulares.57 A ressonância magnética e a tomografia computadorizada também foram usadas para avaliar complicações não vasculares do AH, uma das quais o GCE.56 Ainda assim, o GCE continua a ser um diagnóstico principalmente histológico e nenhum estudo estabeleceu

a acurácia diagnóstica. Apesar disso, as técnicas de imagem representam ferramentas valiosas de avaliação complementar.

Tratamento

As diretrizes atuais são limitadas pela dependência do diagnóstico clínico, que normalmente diferencia entre nódulos inflamatórios e não inflamatórios. Os granulomas em geral são agrupados com o segundo tipo,58 embora, como observado, possam apresentar com aspectos clínicos diversos que são distintos daqueles que caracterizam os nódulos não inflamatórios. A ausência de um diagnóstico definitivo levou a uma abordagem de polifarmácia “de espingarda”, que traz consigo os ricos de efeitos adversos e desfechos subótimos.26 A relutância em realizar biópsias em complicações estéticas devido a preocupações com a formação de cicatrizes limita ainda mais a confirmação histológica. Nesse contexto, a US emerge como uma ferramenta não invasiva que pode auxiliar uma avaliação mais precisa.

A conduta expectante pode ser apropriada para nódulos não inflamatórios,46 pois alguns granulomas se resolvem espontaneamente dentro de um período de 2 anos.59 Diversas abordagens terapêuticas foram descritas, incluindo hialuronidase, corticoides orais ou intralesionais, anti-histamínicos, anti-inflamatórios, antibióticos, 5-fluorouracil intralesional e cirurgia.36 Em consonância com revisões anteriores, a maior parte dos GCEs causados por AH é manejada com sucesso por meio de excisão cirúrgica.60 Contudo, isso pode refletir um viés de excisão em casos selecionados para análise histológica, o que sugere osubdiagnóstico entre pacientes não operados.

Da perspectiva da justificativa do tratamento, como os GCEs são compostos de depósitos de AH, infiltrados inflamatórios, fibrose e/ou formação de cápsula, recomenda-se o manejo com hialuronidase, corticoides intralesionais e 5-fluorouracil, preferencialmente guiado por US para garantir a injeção no local exato. A combinação de triancinolona intralesional com 5-fluorouracil parece reduzir o risco de atrofia cutânea associado ao uso de doses maiores de triancinolona.61 Os corticoides orais também podem ser eficazes, mas geralmente são reservados devido a efeitos colaterais sistêmicos. O uso de antibióticos deve ser limitado às suas propriedades anti-inflamatórias, pois agentes alternativos podem obter efeitos similares e persistem as preocupações com a resistência antimicrobiana global. Múltiplas sessões de hialuronidase combinada com triancinolona e 5-fluorouracil podem ser necessárias. Além de melhorar a precisão da injeção, a orientação por US também ajuda a determinar se a hialuronidase é indicada, dada a sua atividade contra depósitos extracelulares de AH, mas efeito limitado sobre infiltrados inflamatórios, fibrose ou cápsula. A excisão cirúrgica deve ser considerada o último recurso.62

Limitações

Como observado, o GCE causado por AH é um diagnóstico principalmente histológico, com correlação limitada com a apresentação clínica e correlação incerta entre achados histoló-

Surg

gicos e estudos de imagem, embora as técnicas de imagem continuem a ser promissoras. A sobreposição da terminologia clínica, de imagem e histopatológica relativa a GCE causado por AH obscurece o diagnóstico e, por consequência, prejudica a pesquisa. Alguns estudos citados na discussão não foram incluídos nos resultados devido à ausência de confirmação histopatológica. Além disso, o número de estudos disponíveis é pequeno e a subnotificação é provável. Portanto, mais pesquisas são necessárias.

CONCLUSÃO

Embora a prevalência exata de GCE causado por AH continue incerta, sem dúvida se trata de uma complicação em

REFERÊNCIAS:

1. Triana L, Palacios Huatuco RM, Campilgio G, Liscano E. Trends in surgical and nonsurgical aesthetic procedures: a 14-year analysis of the International Society of Aesthetic Plastic Surgery —ISAPS. Aesthetic Plast Surg. 2024;48(20):4217–27.

2. Zaccaria G, Dotti A, Benanti E, Vigliarolo C, Vaienti L. A treatment algorithm for hyaluronic acid filler related complications of the face. J Plast Reconstr Aesthet Surg. 2024;91:207–17.

3. Lee JM, Kim YJ. Foreign body granulomas after the use of dermal fillers: pathophysiology, clinical appearance, histologic features, and treatment. Arch Plast Surg. 2015;42(2):232–9.

4. Tran C, Carraux P, Micheels P, Kaya G, Salomon D. In vivo bio-integration of three hyaluronic acid fillers in human skin: a histological study. Dermatology. 2014;228(1):47–54.

5. Lemperle G, Gauthier-Hazan N, Wolters M, Eisemann-Klein M, Zimmermann U, Duffy DM. Foreign body granulomas after all injectable dermal fillers: part 1. possible causes. Plast Reconstr Surg. 2009;123(6):1842–63.

6. Rivers JK. Incidence and treatment of delayed-onset nodules after VYC filler injections to 2139 patients at a single canadian clinic. J Cosmet Dermatol. 2022;21(6):2379–86.

7. Lai D, Liu H, Kong L, Cheng S. Delayed complication of botulinum toxin and hyaluronic acid filler injections: a case report. J Cosmet Dermatol. 2022;21(6):2374–8.

8. Denkova R, Georgieva I, Kantardjiev V. Immune system triggers as a factor for the formation of foreign body granuloma after hyaluronic acid fillers treatment: a case report and treatment protocol. J Appl Cosmetol. 2024;42(2).

9. Arici C, Tosuner Z. Infraorbital mass long after dermal filler injection: a report of two cases. J Cosmet Dermatol. 2023;22(4):1245–8.

10. Delayed foreign body granulomas in the orofacial region after hyaluronic acid injection. Chin J Dent Res. 2020;23(4):289–96.

11. Zhang FF, Xu ZX, Chen Y. Delayed foreign body granulomas in the orofacial region after hyaluronic acid injection. Chin J Dent Res. 2020;23(4):289–96.

12. Parulan MAA, Sundar G, Lum JH, Ramachandran U. A case report on dermal filler-related periorbital granuloma formation. Orbit. 2019;38(2):169–72.

13. Tamiolakis P, Piperi E, Christopoulos P, Sklavounou-Andrikopoulou A. Oral foreign body granuloma to soft tissue fillers. Report of two cases and review of the literature. J Clin Exp Dent. 2018;10(2):e177–84.

14. Kaczorowski M, Nelke K, Luczak K, Halon A. Filler migration and florid granulomatous reaction to hyaluronic acid mimicking a buccal tumor. J Craniofac Surg. 2020;31(1):e78–9.

15. Cecchi R, Spota A, Frati P, Muciaccia B. Migrating granulomatous chronic reaction from hyaluronic acid skin filler (restylane): review and histopathological study with histochemical stainings. Dermatology. 2014;228(1):14–7.

16. Tonin B, Colato C, Bruni M, Girolomoni G. Late granuloma formation secondary to hyaluronic acid injection. Dermatol Online J. 2020;26(7):13030.

17. Leupe P, Menger DJ. The injectable filler in rhinoplasty: not a complication-free alternative. B-ENT. 2016;12(2):137–42.

18. Dryden SC, Gabbard RD, Meador AG, Stoner AE, Klippenstein KA, Wesley RE. A case of orbital granuloma secondary to dermal filler injection. Cureus. 2021;13(12):e20606.

19. Nishimura M, Sakamoto S, Hoshino M, Miyazaki Y, Yamamoto J, Sakashita H, et al. Histological features of delayed foreign body granuloma with epithelioid histiocyte aggregation and eosinophilic reaction due to hyaluronic acid injection. Case Rep Dent. 2024;2024:5565324.

potencial. É possível que a atual classificação de base cronológica das complicações mereça ser reavaliada. Até o momento, o GCE causado por AH continua a ser um diagnóstico histológico, o que destaca a necessidade de biópsias para garantir o diagnóstico exato e o tratamento adequado. O US é uma ferramenta de avaliação valiosa e um método diagnóstico promissor, mas estudos adicionais são necessários para estabelecer correlações entre exames de imagem e achados histológicos. Adaptar o tratamento à presença de depósitos de AH, infiltrados inflamatórios, fibrose e/ou formação de cápsula pode reduzir os efeitos adversos e otimizar os desfechos. Mais estudos também são necessários para definir estratégias terapêuticas eficazes. l

20. Kim JH, Choi JS, Yun JH, Kang HK, Baek JO, Roh JY, et al. Foreign body reaction to injectable hyaluronic acid: late granuloma formation. Ann Dermatol. 2015;27(2):224–5.

21. Alcântara CEP, Noronha MS, Cunha JF, Flores IL, Mesquita RA. Granulomatous reaction to hyaluronic acid filler material in oral and perioral region: a case report and review of literature. J Cosmet Dermatol. 2018;17(4):578–83.

22. Hwang MJ, Lee YP, Jin YT, Chiang CP. Hyaluronic acid-induced foreign body granuloma in the upper lip. J Dent Sci. 2023;18(3):1429–30.

23. Czumbel LM, Farkasdi S, Gede N, Mikó A, Csupor D, Lukács A, et al. Hyaluronic acid is an effective dermal filler for lip augmentation: a meta-analysis. Front Surg. 2021;8:681028.

24. Jalali A. Nonsurgical rhinoplasty using the hyaluronic acid filler VYC-25L: safety and patient satisfaction in a retrospective analysis of 492 patients. J Cosmet Dermatol. 2024;23(2):426–33.

25. Cohen JL, Hicks J, Nogueira A, Lane V, Andriopoulos B. Postmarket safety surveillance of delayed complications for recent fda-approved hyaluronic acid dermal fillers. Dermatol Surg. 2022;48(2):220–4.

26. Convery C, Davies E, Murray G, Walker L. Delayed-onset nodules (dons) and considering their treatment following use of hyaluronic acid (ha) fillers. J Clin Aesthetic Dermatol. 2021;14(7):E59–67.

27. Plantier F. Lessons on reactions to aesthetic fillers. Ann Pathol. 2024;44(6):491– 7. [French]

28. Jutel M, Agache I, Zemelka-Wiacek M, Akdis M, Chivato T, Del Giacco S, et al. Nomenclature of allergic diseases and hypersensitivity reactions: adapted to modern needs: an eaaci position paper. Allergy. 2023;78(11):2851–74.

29. Alijotas-Reig J, Fernández-Figueras MT, Puig L. Inflammatory, immune-mediated adverse reactions related to soft tissue dermal fillers. Semin Arthritis Rheum. 2013;43(2):241–58.

30. Decates TS, Velthuis PJ, Jhingoerie R, Gibbs S, Bachour Y, Niessen FB. No association found between late-onset inflammatory adverse events after soft tissue filler injections and the adaptive immune system. J Cosmet Dermatol. 2023;22(2):458–63.

31. Turkmani MG, De Boulle K, Philipp-Dormston WG. Delayed hypersensitivity reaction to hyaluronic acid dermal filler following influenza-like illness. Clin Cosmet Investig Dermatol. 2019;12:277–83.

32. Muthupalaniappen L, Jamil A. Prick, patch or blood test? A simple guide to allergy testing. Malays Fam Physician. 2021;16(2):19–26.

33. Hassoun-Kheir N, Bergman R, Weltfriend S. The use of patch tests in the diagnosis of delayed hypersensitivity drug eruptions. Int J Dermatol. 2016;55(11):1219–24.

34. Alijotas-Reig J, Hindié M, Kandhaya-Pillai R, Miro-Mur F. Bioengineered hyaluronic acid elicited a nonantigenic T cell activation: implications from cosmetic medicine and surgery to nanomedicine. J Biomed Mater Res A. 2010;95A(1):180–90.

35. Lee W, Shah-Desai S, Rho NK, Cho J. Etiology of delayed inflammatory reaction induced by hyaluronic acid filler. Arch Plast Surg. 2024;51(1):20–6.

36. Singh K, Nooreyezdan S. Nonvascular complications of injectable fillers—prevention and management. Indian J Plast Surg. 2020;53(3):335–43.

37. Fidalgo López J, Deglesne PA, Arroyo R, Sepúlveda L, Ranneva E, Deprez P. Detection of a new reaction by-product in BDDE cross-linked autoclaved hyaluronic acid hydrogels by LC&ndash;MS analysis. Med Devices Evid Res. 2018;11:367–76.

38. Lee W, Rho NK, Yang EJ. Determination of hyaluronic acid dermal filler impurities using SEM/EDS Analysis. Polymers. 2023;15(7):1649.

Osorio Cock LM, Rengifo Palacios JA, Uribe Posada MP, Sarabia de Capozzi MA, Angulo Morillo.

39. Ibrahim O, Overman J, Arndt KA, Dover JS. Filler nodules: inflammatory or infectious? A review of biofilms and their implications on clinical practice. Dermatol Surg. 2018;44(1):53–60.

40. Michel JC, Perenack JD, Chapple AG, Christensen BJ. Are delayed dermal filler granulomas more common since COVID-19? J Oral Maxillofac Surg. 2023;81(1):42–8.

41. Witt J, Hooper D, Munavalli GG. Delayed inflammatory reaction to hyaluronic acid filler following shingrix and fluzone vaccines treated with lisinopril. JAAD Case Rep. 2022;23:133–5.

42. Alijotas-Reig J, García-GImenez V, Velthuis PJ, Niessen FB, Decates TS. Inflammatory immune-mediated adverse reactions induced by COVID -19 vaccines in previously injected patients with soft tissue fillers: a case series of 20 patients. J Cosmet Dermatol. 2022;21(8):3181–7.

43. Munavalli GG, Guthridge R, Knutsen-Larson S, Brodsky A, Matthew E, Landau M. COVID-19/SARS-CoV-2 virus spike protein-related delayed inflammatory reaction to hyaluronic acid dermal fillers: a challenging clinical conundrum in diagnosis and treatment. Arch Dermatol Res. 2022;314(1):1–15.

44. Rayahin JE, Buhrman JS, Zhang Y, Koh TJ, Gemeinhart RA. High and low molecular weight hyaluronic acid differentially influence macrophage activation. ACS Biomater Sci Eng. 2015;1(7):481–93.

45. Humphrey S, Jones DH, Carruthers JD, Carruthers A, Beleznay K, Wesley N, et al. Retrospective review of delayed adverse events secondary to treatment with a smooth, cohesive 20-mg/mL hyaluronic acid filler in 4500 patients. J Am Acad Dermatol. 2020;83(1):86–95.

46. Philipp-Dormston WG, Goodman GJ, De Boulle K, Swift A, Delorenzi C, Jones D, et al. Global approaches to the prevention and management of delayed-onset adverse reactions with hyaluronic acid-based fillers. Plast Reconstr Surg - Glob Open. 2020;8(4):e2730.

47. Cuylits N. Complications of hyaluronic acid injections in aesthetic medicine: an emerging pathology? Rev Med Brux. 2024;45(4):414–8.

48. Machado RA, Oliveira LQ, Martelli-Júnior H, Pires FR, Carvas JB, Rogerio VE, et al. Adverse reactions to the injection of face and neck aesthetic filling materials: a systematic review. Med Oral Patol Oral Cirugia Bucal. 2023;28(3):e278–84.

49. Bowles A, Ghalili S, Ojong OB, Vasile GF, Li YM, Aguilera SB. Novel management of granuloma formation secondary to dermal filler: a multi-modality approach. J Cosmet Dermatol. 2023;22(4):1233–7.

50. Rozas-Muñoz E, Gamé D, Piquero-Casals J, Mir-Bonafé JF, Ocampo-López C, Madariaga JA. Persistent nose swelling in a teenage girl: answer. Am J Dermatopathol. 2022;44(12):1003–4.

CONTRIBUIÇÃO DOS AUTORES:

Lina María Osorio Cock 0000-0002-5591-7954

51. Modarressi A, Nizet C, Lombardi T. Granulomas and nongranulomatous nodules after filler injection: different complications require different treatments. J Plast Reconstr Aesthet Surg. 2020;73(11):2010–5.

52. Mu EW, Stokar E, Franks L, Meehan SA. Histopathologic reaction patterns to differentially cross-linked hyaluronic acid fillers: a retrospective case series. J Cutan Pathol. 2021;48(6):758–62.

53. Agosti V, Stefanini G. Granulomatous reaction to hyaluronic acid dermal filler: clinical and histological features. Aesthetic Med. 2024;10(1):e2024002.

54. Vandeputte J, Leemans G, Dhaene K, Forsyth R, Vanslembrouck J, Hatem F, et al. Spreading pattern and tissue response to hyaluronic acid gel injections in the subcutis: ultrasound videos, ultrasound measurements, and histology. Aesthet Surg J. 2021;41(2):224–41.

55. Gonzalez C, Duque-Clavijo V, Kroumpouzos G, Garcia Concha AM, Olmos Perez M. Ultrasonographic features of nonvascular complications of hyaluronic acid fillers: a retrospective study at a reference center for dermatologic ultrasonography. Clin Dermatol. 2024;42(5):538–46.

56. Mlosek RK, Migda B. The use of high-frequency ultrasonography for the diagnosis of palpable nodules after the administration of dermal fillers. J Ultrason. 2020;20(83):248–53.

57. Mlosek RK, Skrzypek E, Skrzypek DM, Malinowska S. High-frequency ultrasound-based differentiation between nodular dermal filler deposits and foreign body granulomas. Skin Res Technol. 2018;24(3):417–22.

58. Signorini M, Liew S, Sundaram H, De Boulle KL, Goodman GJ, Monheit G, et al. Global Aesthetics Consensus: avoidance and management of complications from hyaluronic acid fillers—evidence- and opinion-based review and consensus recommendations. Plast Reconstr Surg. 2016;137(6):961e–71e.

59. Zein M, Tie-Shue R, Pirakitikulr N, Lee WWL. Complications after cosmetic periocular filler: prevention and management. Plast Aesthetic Res. 2020;7:44.

60. Trinh LN, McGuigan KC, Gupta A. Delayed granulomas as a complication secondary to lip augmentation with dermal fillers: a systematic review. Surg J. 2022;8(1):e69–79.

61. Kroumpouzos G, Harris S, Bhargava S, Wortsman X. Complications of fillers in the lips and perioral area: Prevention, assessment, and management focusing on ultrasound guidance. J Plast Reconstr Aesthet Surg. 2023;84:656–69.

62. Kroumpouzos G, Treacy P. Hyaluronidase for dermal filler complications: review of applications and dosage recommendations. JMIR Dermatol. 2024;7:e50403.

Análise estatística, Aprovação da versão final do manuscrito, Concepção e planejamento do estudo, Elaboração e redação do manuscrito, Obtenção, análise e interpretação dos dados, Participação efetiva na orientação da pesquisa, Participação intelectual em conduta propedêutica e/ ou terapêutica de casos estudados, Revisão crítica da literatura, Revisão crítica do manuscrito.

Jaime Alberto Rengifo Palacios 0009-0009-1797-4534

Análise estatística, Aprovação da versão final do manuscrito, Concepção e planejamento do estudo, Elaboração e redação do manuscrito, Obtenção, análise e interpretação dos dados, Participação efetiva na orientação da pesquisa, Participação intelectual em conduta propedêutica e/ou terapêutica de casos estudados, Revisão crítica da literatura, Revisão crítica do manuscrito.

María Paulina Uribe Posada 0009-0002-1956-8491

Análise estatística, Aprovação da versão final do manuscrito, Concepção e planejamento do estudo, Elaboração e redação do manuscrito, Obtenção, análise e interpretação dos dados, Participação efetiva na orientação da pesquisa, Participação intelectual em conduta propedêutica e/ou terapêutica de casos estudados, Revisão crítica da literatura, Revisão crítica do manuscrito.

María Alejandra Sarabia de Capozzi 0009-0003-0155-2544

Análise estatística, Aprovação da versão final do manuscrito, Concepção e planejamento do estudo, Elaboração e redação do manuscrito, Obtenção, análise e interpretação dos dados, Participação efetiva na orientação da pesquisa, Participação intelectual em conduta propedêutica e/ou terapêutica de casos estudados, Revisão crítica da literatura, Revisão crítica do manuscrito.

María Aida Angulo Morillo 0009-0000-3928-3392

Análise estatística, Aprovação da versão final do manuscrito, Concepção e planejamento do estudo, Elaboração e redação do manuscrito, Obtenção, análise e interpretação dos dados, Participação efetiva na orientação da pesquisa, Participação intelectual em conduta propedêutica e/ou terapêutica de casos estudados, Revisão crítica da literatura, Revisão crítica do manuscrito.

www.surgicalcosmetic.org.br/

Campanha Nacional de Prevenção ao Câncer de Pele: análise da taxa de resolutividade dos tumores cutâneos diagnosticados durante as campanhas do Dezembro Laranja de 2022 e 2023, realizadas em Jundiaí

National Skin Cancer Prevention Campaign: analysis of the resolution rate of skin tumors diagnosed during the 2022 and 2023 Skin Cancer Awareness Month campaigns in Jundiaí, Brazil

DOI: http://www.dx.doi.org/10.5935/scd1984-8773.2025170422

RESUMO

Introdução: Tumores malignos cutâneos são preveníveis e apresentam alta taxa de cura quando diagnosticados precocemente, resultando em redução da morbimortalidade. Assim, a identificação dos estágios iniciais do câncer permite tratar a doença de forma precoce, favorecendo um melhor prognóstico. Objetivo: Definir a eficácia da campanha Dezembro Laranja na identificação de casos prováveis de câncer de pele e sua taxa de resolutividade, considerando o tempo hábil para a resolução das lesões.

Método: Estudo transversal analítico retrospectivo, com características descritivo-quantitativas.

Resultados: Em 2022, o tempo transcorrido entre a biópsia e a cirurgia curativa variou de 94 a 218 dias, com mediana de 153 dias. Em 2023, esse intervalo variou de 12 a 249 dias, com mediana de 129 dias. Foi observada diferença estatisticamente significativa (p = 0,04) entre os anos de 2022 e 2023 para a mediana do tempo entre a biópsia e a cirurgia.

Conclusão: Uma maior agilidade na realização de biópsias/cirurgias, além de uma melhor adesão dos pacientes ao tratamento, mostrou-se necessária.

Palavras-chave: Carcinoma de Células Escamosas; Carcinoma Basocelular; Neoplasias Cutâneas; Promoção da Saúde; Tempo para o Tratamento.

Artigo Original

Autores:

Isabella Melo Pompei1

Célia Antônia Xavier de Moraes Alves1

Annamaria Piovezan Lorenção1

Bruna Mendes Almeida1

Juliana Arêas de Souza Lima Beltrame Ferreira1

Luciano Melo Pompei2

1 Faculdade de Medicina de Jundiaí, Dermatologia, Jundiaí, São Paulo (SP), Brasil

2 Faculdade de Medicina do ABC, Ginecologia, São Paulo (SP), Brasil

ABSTRACT

Introduction: Cutaneous malignant tumors are preventable and have a high cure rate when diagnosed early, resulting in reduced morbidity and mortality. Early-stage cancer detection allows for timely treatment, leading to a better prognosis.

Objective: To evaluate the effectiveness of the “Skin Cancer Awareness Month” campaign in identifying potential cases of skin cancer and its resolution rate based on the time required for lesion treatment.

Method: A retrospective analytical cross-sectional study with descriptive-quantitative characteristics.

Results: In 2022, the time between biopsy and curative surgery ranged from 94 to 218 days, with a median of 153 days. In 2023, the time between biopsy and curative surgery ranged from 12 to 249 days, with a median of 129 days. A statistically significant difference (p=0.04) was observed between the years 2022 and 2023 in the median time from biopsy to surgery.

Conclusion: Improved efficiency in performing biopsies and surgeries, as well as enhanced patient adherence to treatment, was necessary.

Keywords: Carcinoma; Carcinoma, Squamous Cell; Skin Neoplasms; Health Promotion; Time-to-Treatment.

Correspondência:

Isabella Melo Pompei E-mail: pompei.bella@gmail.com

Número do protocolo de aprovação da pesquisa pelo Comitê de Ética em Pesquisa: 68423723.1.0000.5412

Fonte de financiamento: Nenhuma. Conflito de interesses: Nenhum.

Data de submissão: 16/11/2024 Decisão final: 05/06/2025

Como citar este artigo: Pompei IM, Alves CAXM, Lorenção AP, Almeida BM, Ferreira JASLB, Pompei LM. Campanha Nacional de Prevenção ao Câncer de Pele: análise da taxa de resolutividade dos tumores cutâneos diagnosticados durante as campanhas do Dezembro Laranja de 2022 e 2023, realizadas em Jundiaí. Surg Cosmet Dermatol. 2025;17:e20250422.

Pompei IM, Alves CAXM, Lorenção AP, Almeida BM, Ferreira JASLB, Pompei LM.

INTRODUÇÃO

Os tumores malignos de pele, como o carcinoma basocelular (CBC), o carcinoma espinocelular (CEC) e o melanoma, apresentam elevada incidência entre os cânceres no Brasil e no mundo. Entre todas as neoplasias malignas, o câncer de pele não melanoma é o tipo mais frequente em ambos os sexos.1 Segundo oInstituto Nacional de Câncer (INCA), aproximadamente 30% dos tumores malignos são neoplasias cutâneas, e a estimativa é de que o diagnóstico de novos casos aumente nos próximos anos, isto é, cerca de 180 mil casos novos/ano.2,3 O aumento das taxas anuais de incidência destaca a tendência de aumento da prevalência dessa condição, não apenas devido ao fato da elevação global da expectativa de vida, mas principalmente pela combinação entre melhor capacidade diagnóstica e maior tempo de exposição a fatores de risco, como a exposição à radiação ultravioleta. A elevação expressiva dos casos de tumores cutâneos deve servir de alerta ao sistema de saúde, bem como de incentivo à implementação de novas medidas para rastreamento e diagnóstico precoce das neoplasias dermatológicas.4,5,6

Os tumores cutâneos, de forma geral, são ocasionados pela proliferação anormal e descontrolada de células que compõem a pele. De acordo com as camadas acometidas, pode-se definir os diferentes tipos de tumores. Os três tipos de câncer de pele mais comuns são, em ordem decrescente, o CBC, o CEC e o melanoma.7 O CBC, originado nas células basais da pele e seus apêndices, acomete principalmente a zona H da face, sendo que cerca de 70% dos casos localizam-se na face e na cabeça, podendo também aparecer no tronco e nos membros. É caracterizado por crescimento lento e baixo risco de metástases e, assim, apresenta altos índices de cura quando descoberto precocemente.8 O CEC tem origem nas células escamosas da pele e pode acometer qualquer região do corpo, sendo mais comum em lábios, orelhas, couro cabeludo, áreas de inflamação crônica, cicatrizes e queimaduras.8 Já omelanoma é um tumor mais agressivo e letal, porém, felizmente, mais raro que os demais. Embora seu diagnóstico cause apreensão nos pacientes, quando realizado de forma precoce e assertiva, as chances de cura são de mais de 90%.9,10 Os fatores de risco para a gênese desse câncer já são bem estabelecidos, o que facilita a prevenção primária e a promoção em saúde por meio da conscientização da população sobre os comportamentos de risco, os sinais de alerta e a periodicidade da prevenção.

Assim, as neoplasias cutâneas tratam-se de uma doença prevenível quando ocorre redução ou eliminação da exposição aos agentes carcinogênicos, além da limitação da suscetibilidade individual aos efeitos destes agentes.11 Além disso, sabe-se que os tumores malignos de pele, quando diagnosticados precocemente, apresentam alta taxa de cura, em torno de 90%, o que resulta em redução da morbimortalidade.9,10 Trata-se também de um tipo de câncer prevenível, sendo que o principal fator de risco é a exposição à radiação ultravioleta sem a utilização de fotoproteção. Dessa forma, com a identificação dos estágios iniciais da neoplasia, é possível tratar a doença ainda em estágio precoce, a fim de gerar o melhor prognóstico. Nesse ínterim, deve-se procurar

meios para a implementação de medidas de prevenção primária, incentivar a promoção de programas educativos nas escolas e comunidades, aumentar as campanhas de detecção precoce, melhorar a gestão terapêutica dos casos diagnosticados e reduzir a morbidade e os custos ao sistema de saúde através do reconhecimento precoce e do tratamento efetivo de lesões.4

No que se refere ao tratamento precoce do câncer de pele, é importante ressaltar que as campanhas de conscientização em saúde representam um avanço na forma de cuidar dos pacientes, englobando tanto a prevenção primária quanto a secundária. A prevenção primária é realizada em um período prévio à doença, ou seja, baseia-se em medidas inespecíficas de proteção contra riscos e danos, por meio da redução da exposição dos indivíduos a fatores de risco da doença, com o objetivo de diminuir sua ocorrência.12 Já a prevenção secundária é uma ação desenvolvida quando a doença é subclínica ou está em estágio inicial. Apesar da incapacidade de modificar a predisposição genética, essa etapa possibilita a redução da exposição a fatores causadores do tumor.13

Nesse sentido, é de importância destacar a relevância das campanhas para a prevenção do câncer de pele. A Campanha Nacional de Prevenção ao Câncer de Pele (CNPCP), criada pela Sociedade Brasileira de Dermatologia (SBD), em 2014, tem como objetivo a prevenção da neoplasia de pele por meio da promoção de saúde, com alertas, informação e conscientização da população, dentro da prevenção primária. A campanha atua também na prevenção secundária, baseada no diagnóstico precoce de potenciais lesões malignas da pele por meio do rastreamento. Dessa forma, possibilita tratamento rápido, redução da mortalidade e aumento da sobrevida dos pacientes.5 Atualmente, existem poucos estudos nacionais e/ou latino-americanos sobre a resolutividade de medidas de prevenção primárias e/ou secundárias adotadas no combate e tratamento do câncer de pele. Essa escassez de trabalhos recentes demanda uma melhor avaliação dos médicos dermatologistas, justificando a necessidade de avaliar a eficácia das medidas adotadas após o diagnóstico de um caso de neoplasia dermatológica, uma vez que a quantidade de pacientes com tumores cutâneos tende a aumentar cada vez mais, assim como os impactos e consequências da doença em suas vidas.

OBJETIVOS

Definir a eficácia da CNPCP em identificar casos prováveis de câncer de pele e a sua taxa de resolutividade com base no tempo hábil para resolução das lesões. Além disso, objetiva-se determinar o padrão epidemiológico encontrado nas CNPCPs de 2022 e 2023.

MÉTODO

Trata-se de um estudo transversal analítico retrospectivo, com características descritivo-quantitativas. Foi realizado por meio da análise de fichas coletadas na CNPCP, no ambulatório

do Serviço de Dermatologia da Faculdade de Medicina de Jundiaí (FMJ), Jundiaí, São Paulo. O tamanho da amostra correspondeu ao número máximo de participantes que os pesquisadores conseguiram abordar durante a CNPCP nos anos de 2022 e 2023, e que se enquadraram nos critérios de inclusão, resultando em um total de 158 pessoas. Foram incluídos na pesquisa todos os pacientes com idade igual ou superior a 18 anos, além daqueles que apresentavam suspeita de diagnóstico de câncer de pele, avaliada pelos dermatologistas da FMJ. Foram excluídos os participantes que não concordaram com os termos do Termo de Consentimento Livre e Esclarecido. Esta pesquisa foi submetida à avaliação do Comitê de Ética em Pesquisa (CEP) da FMJ. Uma vez obtida a aprovação do CEP, a análise dos dados provenientes dos questionários preenchidos durante a CNPCP foi iniciada. Os dados obtidos foram organizados em planilhas eletrônicas do software Microsoft Excel® (Microsoft Corporation,® San Diego, USA). A análise estatística foi realizada por meio do plugin StatPlus® (AnalystSoft Inc.) para Excel, sendo os dados numéricos apresentados como média e respectivo desvio-padrão, além de mediana e intervalo interquartil (IIQ). A comparação entre os

anos de 2022 e 2023 foi realizada por meio do teste U de Mann-Whitney. O valor de significância adotado foi de 5%.

RESULTADOS

O número total de indivíduos que participaram da CNPCP de 2022 e que atenderam aos critérios de seleção deste estudo foi de 44 participantes, sendo a maioria composta por 27 mulheres (61,4%), em comparação a 17 homens (38,6%). Já em 2023, 114 pacientes atenderam aos critérios de inclusão e foram direcionados para continuar a investigação, sendo que 71 mulheres representaram a maioria da amostra (62,3%) e 43 homens corresponderam a 37,7% (Tabela 1).

Em 2022, a faixa etária que mais participou do estudo foi a de 61-70 anos, com 17 participantes (38,6%), seguida pela de 71-80 anos, com 10 participantes (22,7%). Apenas dois pacientes (4,5%) apresentaram idade superior a 90 anos, e a menor representatividade do estudo foi da faixa etária inferior a 30 anos, com apenas um indivíduo (2,3%). Não houve nenhum participante com idade entre 30-40 anos. Em 2023, as incidências foram semelhantes, havendo apenas inversão entre as duas faixas etárias

CNPCP = Campanha Nacional de Prevenção ao Câncer de Pele.

Tabela 1: Dados dos

Pompei IM, Alves CAXM, Lorenção AP, Almeida BM, Ferreira

mais prevalentes: a maioria dos participantes tinha entre 71-80 anos, com 33 indivíduos (28,9%), seguida pela faixa de 61-70 anos, com 23 pacientes (20,1%). Além disso, houve aumento na quantidade de participantes com idade superior a 90 anos, totalizando 17 indivíduos (14,9%) (Tabela 1).

O fototipo mais acometido pelos tumores cutâneos, tanto em 2022 quanto em 2023, foi o fototipo 2, correspondendo a 19 (43,1%) e 56 participantes (49,1%), respectivamente, seguido pelo fototipo 3, com 13 (29,5%) e 27 (23,6%). No entanto, observou-se um grande número de registros sem essa informação: seis fichas (13,6%) em 2022 e 14 fichas (12,2%) em 2023, o que pode prejudicar a correta análise dos dados (Tabela 1). Em relação à história pessoal de câncer de pele, observou-se um elevado número de registros sem essa informação, totalizando 10 fichas (22,7%). A partir dos dados disponíveis, verificou-se que 21 pacientes (47,7%) não possuíam histórico pessoal da doença. Os dados de 2023 sobre antecedente pessoal de neoplasia não foram analisados neste estudo.

No tocante ao tipo de lesão de pele encontrado no exame dermatológico, em 2022, a maior parte das lesões era composta por CBC, com 25 casos (44,6%), seguida por queratose actínica (QA), com 10 casos (17,8%), e por CEC, com sete casos (12,5%). As lesões pigmentadas, sugestivas de melanoma, corres-

ponderam a um caso (1,7%).Vale destacar que, como alguns pacientes apresentavam mais de uma lesão, o número total de lesões é superior ao número de participantes. Em 2023, a maior parcela foi composta por lesões não neoplásicas, totalizando 41 casos (32,3%), seguida por CBC, com 29 lesões (22,8%), e por CEC, com 12 casos (9,4%). Nesse mesmo ano, não foi diagnosticada nenhuma lesão pigmentada sugestiva de melanoma (Tabela 2).

Com relação ao local onde as lesões foram encontradas, notou-se que, tanto em 2022 quanto em 2023, as proporções foram mantidas. No segmento cefálico, localizaram-se 28 casos (49,1%) em 2022 e 56 casos (45,1%) em 2023, representando quase a metade das lesões. No tronco, foram registradas 14 lesões (24,5%) em 2022 e 32 lesões (25,8%) em 2023. Já nos membros, os percentuais observados ficaram próximos, com 12 lesões (21,1%) em 2022 e 29 lesões (23,3%) em 2023 (Tabela 3).

Os casos avaliados com possíveis desfechos de neoplasias de pele foram direcionados à biópsia, a fim de definir o seguimento de cada paciente. Em 2022, apenas um paciente foi direcionado diretamente para seguimento clínico com 5-fluorouracil (2,3%), enquanto os outros 43 pacientes (97,7%) foram encaminhados à biópsia. Destes, seis (14,0%) perderam seguimento, 35 (81,3%) foram submetidos ao punch e apenas dois (4,7%) foram submetidos à exérese. Após o resultado da biópsia,

CNPCP = Campanha Nacional de Prevenção ao Câncer de Pele; CBC = carcinoma basocelular; CEC = carcinoma espinocelular; QA = queratose actínica.

CNPCP = Campanha Nacional de Prevenção ao Câncer de Pele.

JASLB, Pompei LM.
Tabela 2: Tipos de lesão diagnosticadas durante a CNPCP de 2022 (n = 56), a CNPCP de 2023 (n = 127) e a soma das
Tabela 3: Localização das lesões diagnosticadas durante a CNPCP de 2022 (n = 57), a CNPCP de 2023 (n = 124) e a soma

Surg Cosmet Dermatol. 2025;v.17: n.3 jul-sep. p.282-92.

Fluxograma 1. Representação dos acontecimentos e respectivo número de pacientes submetidos a cada intervenção na CNPCP de 2022

CNPCP = Campanha Nacional de Prevenção ao Câncer de Pele.

quatro pacientes (9,3%) não apresentaram indicação cirúrgica, seis (14,0%) perderam seguimento e 33 (76,7%) tiveram cirurgia indicada e agendada (Fluxograma 1).

Em 2023, dos 114 pacientes, apenas cinco (4,4%) não compareceram no dia da biópsia. Entre aqueles que continuaram oacompanhamento, 38 (34,9%) foram submetidos a exérese e 71 (65,1%) ao punch. Após o resultado das biópsias, optou-se por seguimento clínico com cinco pacientes (4,6%); não houve indicação cirúrgica para 45 pacientes (41,3%), e os demais 59 (54,1%) foram encaminhados à cirurgia (Fluxograma 2).

Com relação ao tempo transcorrido entre a CNPCP de

2022 e a biópsia das lesões avaliadas no mutirão, o tempo variou de 34 a 100 dias, com média de 49,8 dias (± 13,1) entre os dois eventos e mediana de 47,0 dias (IIQ 40-53). Dos 37 pacientes com indicação de biópsia, 20 (54,1%) aguardaram entre 34 e 48 dias para ter essa etapa resolvida. Outros 11 pacientes (29,7%) levaram entre 49 e 62 dias, e apenas um (2,7%) aguardou mais de 90 dias (Gráfico 1A). Em 2023, entre a CNPCP e a biópsia das lesões avaliadas, o tempo variou entre 0 e 86 dias, com uma média de 39,2 dias (± 26,2) entre os dois eventos e mediana de 47,0 dias (IIQ 12-58). Dos 109 pacientes que compareceram na data agendada para a biópsia, 31 (28,4%) realizaram o procedi-

Pompei IM, Alves CAXM, Lorenção AP, Almeida BM, Ferreira JASLB, Pompei LM.

Fluxograma 2: Representação dos acontecimentos e respectivo número de pacientes submetidos a cada intervenção na CNPCP de 2023

CNPCP = Campanha Nacional de Prevenção ao Câncer de Pele.

mento em menos de 20 dias. A maioria, 41 (37,6%), aguardou entre 39 e 57 dias, e apenas 10 (9,2%) levaram de 77 a 95 dias para submissão à biópsia (Gráfico 1B).

Uma grande diferença entre a CNPCP de 2022 e a de 2023 foi a realização de biópsias excisionais e punchs no mesmo dia. Ao todo, 27 pacientes (23,7%) realizaram o procedimento no mesmo dia do mutirão, sendo que 14 (48,3%) foram submetidos à biópsia excisional e os outros 15 (51,7%) ao punch. Entretanto, não foi observada diferença estatisticamente significativa (p = 0,1) entre os anos de 2022 e 2023 para

Surg Cosmet Dermatol. 2025;v.17: n.3 jul-sep. p.282-92.

A

CNPCP = Campanha Nacional de Prevenção ao Câncer de Pele.

B

Gráfico 1: A - Distribuição dos casos em relação ao intervalo de tempo entre a CNPCP de 2022 e a realização da biópsia e B - Distribuição dos casos em relação ao intervalo de tempo entre a CNPCP de 2023 e a realização da biópsia

A

CNPCP = Campanha Nacional de Prevenção ao Câncer de Pele.

B

Gráfico 2: A - Distribuição dos casos em relação ao intervalo de tempo entre a biópsia e a cirurgia curativa, CNPCP 2022 B - Distribuição dos casos em relação ao intervalo de tempo entre a biópsia e a cirurgia curativa, CNPCP 2023

a mediana do tempo entre a CNPCP e a biópsia. Ao se avaliar otempo transcorrido entre a biópsia das lesões identificadas na CNPCP de 2022 e a data da cirurgia dos pacientes com indicação formal de exérese, observou-se variação de 94 a 218 dias, com média de 152,8 dias (± 40,3) e mediana de 153,0 dias (IIQ 111,5-183,2). Dos 33 pacientes com indicação de cirurgia, 11 (33,3%) perderam seguimento e 22 (66,7%) foram operados e tratados. Entre os operados, 11 casos (50,0%) aguardaram entre 94 e 144 dias para a conclusão dessa etapa, enquanto quatro casos (18,9%) levaram mais de 194 dias para a

resolução (Gráfico 2A). Já em 2023, o tempo variou entre 12 e 249 dias, com uma média de 125,2 dias (± 57,9) entre os dois eventos e mediana de 129,0 dias (IIQ 91-172). Foi observada diferença estatisticamente significativa (p = 0,04) entre os anos de 2022 e 2023 para a mediana do tempo entre a biópsia e a cirurgia. Dos 59 pacientes com indicação cirúrgica, apenas 33 (55,9%) foram operados, enquanto os outros 26 (44,1%) perderam seguimento. Entre os operados, sete (21,2%) obtiveram a cura em até 75 dias, e apenas dois (6,1%) levaram mais de 201 dias para a resolução (Gráfico 2B).

Pompei IM, Alves CAXM, Lorenção AP, Almeida BM, Ferreira JASLB, Pompei LM.

DISCUSSÃO

No presente estudo, foram coletados dados das CNPCPs de 2022 e 2023, com o objetivo de verificar se houve alguma modificação na taxa de resolutividade a partir da aplicação de medidas diferentes entre os 2 anos. É sabido que a maior parte das neoplasias malignas de pele acometem pacientes com idade mais avançada, principalmente a partir da quinta década de vida.8,14 Esse dado corrobora os resultados obtidos neste estudo, uma vez que 88,6% dos pacientes da CNPCP de 2022 e 92,1% dos de 2023 tinham mais de 50 anos. A maioria estava na faixa etária de 61-70 anos (38,6%) em 2022 e de 71-80 anos (28,9%) em 2023.

O câncer de pele é resultado do acúmulo de mutações geradas pelo fotodano e, assim, a quantidade de alterações celulares aumenta conforme a faixa etária se eleva.15 Dessa forma, explica-se o motivo de a incidência de neoplasias cutâneas ser proporcional à idade.

O tumor de pele foi descrito em algumas literaturas como mais prevalente em homens.6,8 Entretanto, estudos mais recentes têm mostrado uma inversão dessa prevalência, isto é, mais mulheres estão sendo diagnosticadas com CBC, CEC ou melanoma.3,14 No presente estudo, 61,4% dos pacientes em 2022 e 62,3% em 2023 eram mulheres, estando em consonância com a epidemiologia descrita por outros estudos atuais. Uma hipótese para essa inversão de prevalência é que, nas últimas décadas, houve uma valorização estética do bronzeado, que se tornou um padrão de beleza desejado pelas mulheres. Esse pensamento levou à disseminação de atividades ao ar livre e à exposição de maiores áreas de pele à radiação UV.16,17 Além disso, outro fator que poderia explicar essa alteração na incidência é a maior resistência dos homens em buscar os serviços de saúde. Soma-se a isso o fato de que as mulheres, em geral, apresentam maior atenção crítica e preocupação com a própria saúde.18,19

Em relação ao fototipo da pele dos pacientes, a maioria dos pacientes – 75,0% em 2022 e 81,6% em 2023 – apresentou fototipo de Fitzpatrick baixo (1 a 3). Em 2022 e 2023, apenas 11,4% e 6,1%, respectivamente, foram classificados em Fitzpatrick 4 e 5. Este achado está de acordo com o esperado, já que peles claras apresentam risco de desenvolver carcinomas cutâneos de 10 a 20 vezes maior do que peles escuras.20,21 Isso se justifica pelo fato de o fototipo baixo ser um dos fatores de risco para o desenvolvimento do câncer de pele, pois apresenta menor quantidade de melanina (pigmento localizado na epiderme) e, assim, oferece menor proteção contra os raios ultravioleta, responsáveis por mutações cancerígenas.

Em 2022, os tipos de lesão mais prevalentes entre os participantes foram as neoplasias de pele e seus precursores. O CBC correspondeu a 44,6% das lesões, seguido pela QA (17,8%) e pelo CEC (12,5%). O melanoma representou menos de 2,0% dos casos. Esses achados estão em consonância com dados epidemiológicos de diversas regiões do Brasil e de outros países, além de refletirem o mesmo perfil observado nas CNPCPs de outras cidades.4,5,6,14 Por outro lado, em 2023, a maior parte das

lesões (32,3%) diagnosticadas em anatomopatológico eram afecções benignas não neoplásicas. Nesse ínterim, muitos pacientes com suspeita de neoplasia cutânea apresentaram outras afecções benignas, optando-se, portanto, por alta para 41,3% dos pacientes submetidos à biópsia. Vale destacar que, como alguns apresentavam mais de uma lesão, o número total de lesões é superior ao número de participantes.

Em 2023, a maior parcela das lesões era composta por afecções não neoplásicas, totalizando 41 casos (32,2%), seguida pelo CBC, com 29 casos (22,8%), e pelo CEC, com 12 casos (9,4%). No mesmo ano, não foi diagnosticada nenhuma lesão pigmentada sugestiva de melanoma. No que se refere à topografia das lesões, a região da cabeça foi a mais acometida (49,1% em 2022 e 45,2% em 2023), seguida pelos membros (24,6% em 2022 e 25,8% em 2023) e, por último, pelo tronco (21,1% em 2022 e 23,4% em 2023). Isso pode ser explicado pelo fato de a região da face ser menos protegida e mais fotoexposta, enquanto o tronco, muitas vezes, permanece coberto por vestimentas durante a maior parte do tempo, bloqueando, assim, a radiação UV.14,22

Sobre os valores referentes à história pessoal pregressa de câncer de pele, avaliando-se apenas o ano de 2022, observou-se que 47,7% dos participantes negaram antecedente pessoal de neoplasia cutânea. Entretanto, vale ressaltar que uma parcela significativa das fichas (22,7%) não teve o campo “antecedente pessoal” preenchido, indicando que este é um item frequentemente ignorado ou esquecido pelos profissionais de saúde. Em outros estudos, essa variável também foi de difícil análise, uma vez que não houve o devido preenchimento.23 Diante disso, a correlação entre a história pessoal de câncer de pele e o desfecho não pôde ser devidamente avaliada. Na análise comparativa entre as CNPCPs de 2022 e 2023, observou-se um aumento na indicação de prosseguimento da investigação de lesões suspeitas (seguimento clínico ou biópsia), com acréscimo de 70 pacientes (159,1%) encaminhados para continuidade do exame. Em estudo nacional de Grana et al., publicado em 2024, relata-se que o incremento médio anual linear de casos incidiu acima da projeção esperada a partir de 2022, indicando um crescimento acelerado da ocorrência.6 Aqui, questiona-se a causa desse aumento. Como possíveis causas, a população pode ter se informado melhor sobre o problema e, assim, procurado mais ajuda, ou os critérios para prosseguimento da conduta podem ter sido mais abrangentes, a fim de não permitir que nenhuma lesão com o mínimo de suspeita passasse despercebida.

Sabe-se que a biópsia é o único método capaz de determinar o diagnóstico definitivo do câncer de pele.9,10,24 Dessa forma, os casos com suspeita de neoplasia identificados na CNPCP foram encaminhados à biópsia, a fim de confirmar o diagnóstico e estabelecer a conduta adequada.25

Em relação ao procedimento realizado, a maioria dos pacientes foi submetida à biópsia por punch (81,3% em 2022 e 65,1% em 2023). A biópsia excisional garante a remoção completa da lesão e, nos casos em que as margens se apresentam

Surg

livres, o paciente pode ser considerado tratado. Quando há suspeita de melanoma, a biópsia excisional deve ser realizada sempre que possível.26 Por outro lado, devido ao tamanho ou à localização, algumas lesões devem ser submetidas primariamente ao punch, devido aos seus potenciais efeitos no estadiamento e no prognóstico.26,27

Neste estudo, também foi possível avaliar a taxa de adesão dos pacientes ao seguimento ambulatorial. Observou-se que um grande número de participantes perdeu seguimento, seja por deixar de comparecer ao ambulatório, seja por não se apresentar ao serviço para o qual havia sido encaminhado. As biópsias das lesões da CNPCP de 2022 começaram a ser realizadas em janeiro de 2023, dando-se prioridade a essas em detrimento das novas indicações do ambulatório de Dermatologia da FMJ. Apesar disso, 14,0% dos pacientes perderam seguimento logo no início da investigação, não comparecendo na data agendada para a biópsia. Durante a CNPCP de 2023, novas medidas foram implementadas na tentativa de abreviar o tempo entre a suspeita e a resolução do quadro. Diferentemente do ano anterior, optou-se por iniciar as biópsias já na mesma data da CNPCP, o que provavelmente contribuiu para a redução expressiva do número de faltosos na data da biópsia, que caiu para apenas 4,4% dos pacientes. Além disso, com o intuito de agilizar o período entre a biópsia e a cirurgia curativa, outras especialidades médicas (pequenas cirurgias, cirurgia de cabeça e pescoço, cirurgia torácica e cirurgia plástica), juntamente com médicos dermatologistas colaboradores da FMJ, auxiliaram na realização dos procedimentos, contribuindo, consequentemente, para a redução do tempo até a cura.

No tocante ao tempo transcorrido entre a CNPCP e a biópsia das lesões, em 2022, a média entre os eventos foi de aproximadamente 50 dias, enquanto, em 2023, a média caiu para cerca de 40 dias. Entretanto, as medianas foram iguais, não indicando diferença estatisticamente significativa entre os 2 anos. Dos pacientes com indicação formal de cirurgia, 33,3% não compareceram na data marcada para a realização do procedimento em 2022, e 44,1% em 2023. Além de evidenciar uma adesão deficitária ao plano de tratamento, esses dados revelam uma das dificuldades enfrentadas no presente estudo.

Com relação ao tempo decorrido entre a biópsia e a cirurgia curativa, em 2022, a média entre os eventos foi de aproximadamente 153 dias, enquanto, em 2023, a média caiu para aproximadamente 123 dias, demonstrando melhora em comparação ao ano anterior. Apesar de o tempo máximo ter sido maior em 2023 (249 dias) do que em 2022 (218 dias), a redução de 24 dias na mediana entre os dois eventos foi estatisticamente significativa, indicando maior eficácia do novo método adotado na CNPCP de 2023. Na literatura, não há um período definido entre a detecção do câncer e a realização do procedimento curativo. Entretanto, diversos estudos ressaltam a importância de uma resolução rápida, a fim de evitar a progressão da doença, o surgimento de metástases, a deformidade e de reduzir o custo do tratamento.5,9,10,28 O tempo de evolução do CBC e do CEC in situ para a forma invasiva é, em média, de 2 a 5 anos. Porém,

otumor pode apresentar crescimento mais rápido e agressivo,28, 29 além de não ser possível determinar a data exata de origem da lesão. Dessa forma, indica-se que a terapêutica curativa seja realizada o mais breve possível.

Avaliando o total de perda de seguimento entre a CNPCP de 2022 (38,6%) e a de 2023 (27,2%), observa-se que, apesar de ainda elevado, houve redução de 11,4 pontos percentuais, revelando maior adesão dos pacientes ao tratamento acordado. Algumas hipóteses que podem justificar as faltas, baseadas em outros artigos, incluem a falta de transporte por dificuldade de mobilidade ou ausência de condição financeira, o esquecimento das consultas e o longo período de espera até a resolução do problema. Essas situações merecem atenção e articulação com políticas de assistência social, uma vez que o absenteísmo provoca atraso e adiamento do diagnóstico e do tratamento.30

Apesar de o tratamento cirúrgico ser a terapia de primeira linha para o tratamento definitivo dos tumores de pele, por apresentar menor taxa de recorrência, existem outros recursos terapêuticos para o CBC superficial em áreas de baixo risco.8-10,12,24,31 Os métodos ablativos cirúrgicos e as terapias tópicas (imiquimode ou 5-fluorouracil) podem ser utilizados em associação ou em sequência.32,33 Entretanto, entre 25 e 75% dos pacientes tratados com esses métodos alternativos necessitarão de retratamento em um prazo de 12 meses, devido à cancerização de campo e ao surgimento de novas lesões. Diante disso, sempre que possível, opta-se pelo tratamento cirúrgico.33 Em vista do exposto, e garantindo a individualização das necessidades de cada paciente, na CNPCP de 2022, optou-se pelo seguimento clínico com terapia tópica (5-fluorouracil) para apenas um paciente, devido à idade avançada, múltiplas comorbidades e, consequentemente, baixa expectativa de vida. Em 2023, essa conduta foi adotada para cinco pacientes, pelos mesmos motivos. Esta pesquisa está sujeita a pelo menos duas limitações. A primeira é que os dados do estudo não incluem uma amostra representativa de todos os municípios e estados, abrangendo apenas participantes do município de Jundiaí nas CNPCPs de 2022 e 2023. Dessa forma, os dados não podem ser generalizados. Entretanto, os dados epidemiológicos obtidos estão em consonância com os estudos apresentados nas referências. Em segundo lugar, apesar das tentativas de contato com os pacientes que perderam seguimento, não foi possível identificar com precisão a causa do abandono do tratamento, o que pode interferir na acurácia da análise do desfecho. Ainda que não se saiba o motivo exato para a desistência de alguns participantes, percebe-se que, com as mudanças implementadas na CNPCP de 2023, promovendo biópsias e subsequentes cirurgias curativas de forma mais rápida, a taxa de absenteísmo foi reduzida de maneira eficiente.

CONCLUSÕES

Independentemente das limitações, com os dados obtidos no presente trabalho, pode-se concluir que, embora a CNPCP seja uma excelente forma de diagnóstico de lesões suspeitas de neoplasia de pele e de lesões neoplásicas em está-

Pompei IM, Alves CAXM, Lorenção AP, Almeida BM, Ferreira JASLB, Pompei LM.

REFERÊNCIAS:

1. Bray F, Ferlay J, Soerjomataram I, Siegel RL, Torre LA, Jemal A. Global Cancer Statistics 2018: GLOBOCAN estimates of incidence and mortality worldwide for 36 cancers in 185 countries. CA Cancer J Clin. 2018;68(6):394-424.

2. Instituto Nacional de Câncer. Estimativa 2020: incidência de câncer no Brasil. Rio de Janeiro: Instituto Nacional de Câncer; 2019.

3. Instituto Nacional de Câncer. Estimativa 2023: incidência de câncer no Brasil. Rio de Janeiro: Instituto Nacional de Câncer; 2022.

4. Pessoa DL, Ferreira LP, Silva RS, Teixeira FFN, Abreu CB, Silva EHO, et al. Analysis of the epidemiological profile of non-melanoma skin cancer in the state of Roraima in the period from 2008 to 2014. Braz J Hea Rev. 2020;3(6):18577-90.

5. Sociedade Brasileira de Dermatologia. Data analysis of the Brazilian Society of Dermatology skin cancer prevention campaign, 1999 to 2005. An Bras Dermatol. 2006;81(6):533-9.

6. Grana AG, Gonçalves HS, Barcaui CB, Talhari C, Miot HA. Trends on detecting malignant skin neoplasms during the national campaigns of skin cancer prevention (2000-2023). An Bras Dermatol. 2024;99(6):946-50.

7. Eufrásio LS, Lucena BCM, Almeida DKFH, Lima ESG, Souza KWDD, Silva APS, et al. Educação em saúde com campanhas nacionais de conscientização: porque toda informação importa! Julho a dezembro. Santa Cruz (RN): FACISA; 2022.

8. Rivitti EA. Dermatologia de Sampaio e Rivitti. 4th ed. São Paulo: Grupo a Educação; 2018. 1648 p.

9. National Comprehensive Cancer Network. Squamous cell skin cancer. NCCN Clinical Practice Guidelines in Oncology (NCCN Guidelines®); 2022.

10. National Comprehensive Cancer Network. Basal cell skin cancer. NCCN Clinical Practice Guidelines in Oncology (NCCN Guidelines®); 2022.

do na CNPCP de 2023, o tempo até a cura e o seguimento dos pacientes foram conduzidos de forma mais rigorosa e com maior êxito. A metodologia da CNPCP contra o câncer de pele ainda está longe de ser a ideal, mas, através de mudanças em padrões observados em estudos como este, pode-se ponderar sobre outras medidas capazes de tornar a CNPCP mais próxima da excelência. l

11. Cestari MEW, Zago MMF. Cancer prevention and health promotion: a challenge for the 21st century. Rev Bras Enferm. 2005;58(2):218-21.

12. Rojas KD, Perez ME, Marchetti MA, Nichols AJ, Penedo FJ, Jaimes N. Skin cancer: primary, secondary, and tertiary prevention. Part II. J Am Acad Dermatol. 2022;87(2):271-88.

13. Gill PS, Tattersall, MHN. Rastreamento e detecção precoce. In: Love RR, Editor. Manual de oncologia clínica. 6th ed. São Paulo: Fundação Oncocentro; 1999. p.117-38.

14. Oliveira TP, Andrade HD, Pegas JR, Bechara CS. Prevalence of pathological diagnoses and epidemiological profile of patients with non-melanoma skin cancer suspicious lesions. Surg Cosmet Dermatol. 2021;13:e20210031.

15. Wright CY, du Preez DJ, Millar DA, Norval M. The epidemiology of skin cancer and public health strategies for its prevention in southern Africa. Int J Environ Res Public Health. 2020;17(3):1017.

16. Keesling B, Friedman HS. Psychosocial factors in sunbathing and sunscreen use. Health Psychol. 1987;6(5):477-93.

17. Arthey S, Clarke VA. Suntanning and sun protection: a review of the psychological literature. Soc Sci Med. 1995;40(2):265-74.

18. Levorato CD, Mello LM, Silva AS, Nunes AA. Factors associated with the demand for health services from a gender-relational perspective. Cien Saude Colet. 2014;19(4):1263-74.

19. Instituto Brasileiro de Geografia e Estatística (IBGE). Pesquisa nacional de saúde: 2019: informações sobre domicílios, acesso e utilização dos serviços de saúde: Brasil, grandes regiões e unidades da federação / IBGE, Coordenação de Trabalho e Rendimento. Rio de Janeiro: IBGE; 2020. 85p. gio inicial, seu impacto na redução da morbimortalidade ainda não se concretiza em sua totalidade. Podemos perceber que o tempo entre o diagnóstico e a resolução do caso é superior ao recomendado na literatura, existindo diversos motivos para isso. Assim, maior agilidade na realização de biópsias e cirurgias, bem como maior adesão dos pacientes ao tratamento, mostra-se necessária. Nota-se que, após o aperfeiçoamento realiza-

Surg Cosmet Dermatol. 2025;v.17: n.3 jul-sep. p.282-92.

20. Roewert-Huber J, Lange-Asschenfeldt B, Stockfleth E, Kerl H. Epidemiology and aetiology of basal cell carcinoma. Br J Dermatol. 2007;157(Suppl 2):47–51.

21. Lear W, Dahlke E, Murray CA. Basal cell carcinoma: review of epidemiology, pathogenesis, and associated risk factors. J Cutan Med Surg. 2007;11(1):19–30.

22. Souza CFD, Menegotto PF, Shibue JRT, Thomé EP, Schmitt JV, Tarlé RG. Topography of basal cell carcinoma and their correlations with gender, age and histologic pattern: a retrospective study of 1042 lesions. An Bras Dermatol. 2011;86(2):272-7.

23. Teixeira MA, McManus C, Pinheiro AMC, Abbud CBB, Fernandes AGO, Santos LRS, et al. Social epidemiological profile of patients with suspected skin cancer in the Federal District, Brazil. Rev Enferm Atual Derme. 2023;97: e023110.

24. Lim JL, Asgari M. Cutaneous squamous cell carcinoma (cSCC): clinical features and diagnosis. UptoDate; 2023.

25. Alguire PCA, Mathes BM. Skin biopsy techniques. UptoDate; 2023.

26. Blakeman JM. The skin punch biopsy. Can Fam Physician. 1983;29:971-4.

27. Pickett H. Shave and Punch Biopsy for Skin Lesions. Am Fam Physician. 2011;84(9):995-1002.

28. John SM, Trakatelli M, Gehring R, Finlay K, Fionda C, Wittlich M, et al. Consensus report: recognizing non- melanoma skin cancer, including actinic keratosis, as an occupational disease - a call to action. J Eur Acad Dermatol Venereol. 2016;30(Suppl 3):38-45.

29. Rigel DS, Stein Gold LF. The importance of early diagnosis and treatment of actinic keratosis. J Am Acad Dermatol. 2013;68(1 Suppl 1):S20-7.

30. Bittar OJNV, Magalhães A, Martines CM, Felizola NBG, Falcão LHB. Absenteeism in outpatient care specialties in São Paulo. Boletim Epidemiológico Paulista. 2016;13(152):19-32.

31. Urun YG, Can N, Bagış M, Solak AA, Urun M. Adequacy of surgical margins, re-excision, and evaluation of factors associated with recurrence: a retrospective study of 769 basal cell carcinomas. An Bras Dermatol. 2023;98(4):449-59.

32. Work Group; Invited Reviewers; Kim JYS, Kozlow JH, Mittal B, Moyer J, et al. Guidelines of care for the management of basal cell carcinoma. J Am Acad Dermatol. 2018;78(3):540-59.

33. Smit JV, Sévaux RGL, Blokx WAM, Van De Kerkhof PCM, Hoitsma AJ, Jong EMGJ. Acitretin treatment in (pre) malignant skin disorders of renal transplant recipients: histologic and immunohistochemical effects. J Am Acad Dermatol. 2004;50(2):189-96.

CONTRIBUIÇÃO DOS AUTORES:

Isabella Melo Pompei 0000-0001-9438-1163

Análise estatística; aprovação da versão final do manuscrito; elaboração e redação do manuscrito; obtenção, análise e interpretação dos dados; revisão crítica da literatura; revisão crítica do manuscrito.

Célia Antônia Xavier de Moraes Alves 0000-0002-8421-8837

Aprovação da versão final do manuscrito; concepção e planejamento do estudo; participação efetiva na orientação da pesquisa; revisão crítica da literatura; revisão crítica do manuscrito.

Annamaria Piovezan Lorenção 0009-0001-6094-8595

Análise estatística; aprovação da versão final do manuscrito; elaboração e redação do manuscrito; obtenção, análise e interpretação dos dados; revisão crítica do manuscrito.

Bruna Mendes Almeida 0000-0002-0804-5401

Aprovação da versão final do manuscrito; concepção e planejamento do estudo; revisão crítica da literatura; revisão crítica do manuscrito.

Juliana Arêas de Souza Lima Beltrame Ferreira 0000-0001-7338-3442

Aprovação da versão final do manuscrito; concepção e planejamento do estudo; participação efetiva na orientação da pesquisa; revisão crítica do manuscrito.

Luciano Melo Pompei 0000-0001-7084-037X

Análise estatística; obtenção, análise e interpretação dos dados; revisão crítica do manuscrito.

www.surgicalcosmetic.org.br/

Avaliação quantitativa e qualitativa da blefaroplastia superior: um estudo longitudinal retrospectivo

Quantitative and qualitative evaluation of upper blepharoplasty: a retrospective longitudinal study

DOI: http://www.dx.doi.org/10.5935/scd1984-8773.2025170446

RESUMO

Introdução: As pálpebras desempenham funções específicas, como a proteção ocular. O envelhecimento pode levar ao excesso de pele palpebral superior (dermatocálase superior), causando prejuízos funcionais e estéticos. As avaliações subjetivas de melhora, pré e pós-blefaroplastia, podem ser subestimadas, já que mesmo um aumento mínimo na altura da fenda palpebral pode melhorar o campo visual.

Objetivo: Verificar, por meio da aferição da altura da fenda palpebral, se houve melhora da dermatocálase após a blefaroplastia superior realizada por dermatologistas, e comparar as avaliações subjetivas de dermatologistas independentes e dos pacientes.

Métodos: Estudo baseado na revisão de prontuários dos pacientes submetidos à blefaroplastia superior. Fotografias obtidas antes e 2 meses após a cirurgia foram comparadas. Dermatologistas independentes avaliaram as imagens (avaliação subjetiva), e a percepção subjetiva dos pacientes também foi verificada. A altura da fenda palpebral, em milímetros, foi calculada antes e após as cirurgias.

Resultados: Foram analisadas 170 pálpebras. Houve diferenças significativas nas médias da altura da fenda palpebral pré e pós-cirurgia (7,088 versus 8,618 mm; p < 0.001) e na autoavaliação dos pacientes (p = 0,001), mas não entre as avaliações subjetivas dos dermatologistas independentes (p = 0,665).

Conclusão: Houve aumento da média da altura da fenda palpebral após blefaroplastia, o que provavelmente resultou em melhora do campo visual. A dermatologia é uma especialidade apta a realizar o procedimento.

Palavras-chave: Blefaroplastia; Pálpebras; Envelhecimento da Pele; Olho.

Artigo Original

Autores:

Gabriele Harumi Seko1

Jéssica Pagan Faria1

Eldislei Mioto1

Luan Yudi Prando Kasuga2

Melissa Caroline Godoi Prestes2

Rogerio Nabor Kondo1

1 Universidade Estadual de Londrina, Dermatologia, Londrina (PR), Brasil

2 Universidade Estadual de Londrina, Londrina (PR), Brasil

Correspondência:

Gabriele Harumi Seko E-mail: gabrieleseko@gmail.com / kondo.dermato@gmail.com

Fonte de financiamento: Nenhuma

Conflito de interesses: Nenhum

Data de submissão: 04/03/2025

Decisão final: 14/04/2025

ABSTRACT

Introduction: The eyelids have specific functions, such as eye protection. Aging can lead to excess upper eyelid skin (upper dermatochalasis), causing functional and aesthetic impairment. Subjective assessments of improvement pre- and post-blepharoplasty may be underestimated, since even small increases in palpebral fissure height (PFH) can improve the visual field.

Objective: To measure PFH to check for improvements in dermatochalasis after upper blepharoplasty performed by dermatologists and compare the subjective assessments of independent dermatologists and patients.

Methods: Medical record review of patients who underwent upper blepharoplasty. Photographs taken before and two months after the procedure were compared. Independent dermatologists evaluated the photographs (subjective assessment). Patients’ subjective perception was also assessed. PFH before and after the procedure was calculated in millimeters (mm).

Results: A total of 170 eyelids were analyzed. There were significant differences in mean PFH values before and after the procedure (7.088 vs. 8.618 mm; p < 0.001) and in patient self-assessment (p = 0.001), but no differences between the subjective assessments by independent dermatologists (p = 0.665).

Conclusion: There was an improvement in mean PFH after blepharoplasty, which probably resulted in improved visual field. Dermatology is a specialty qualified to perform the procedure.

Keywords: Blepharoplasty; Eyelids; Skin Aging; Eye.

Agradecimentos

A Ricardo Kazuhito Yamamoto, médico oftalmologista pela Sociedade Brasileira de Oftalmologia, pelas orientações fornecidas ao estudo sob o ponto de vista da oftalmologia.

Como citar este artigo:

Seko GH, Faria JP, Mioto E, Kasuga LYP, Prestes MCG, Kondo RN. Avaliação quantitativa e qualitativa da blefaroplastia superior: um estudo longitudinal retrospectivo. Surg Cosmet Dermatol. 2025;17:e20250446.

Seko GH, Faria JP, Mioto E, Kasuga LYP, Prestes MCG, Kondo RN.

INTRODUÇÃO

As pálpebras são estruturas complexas e desempenham funções específicas, como proteger o globo ocular contra traumas, servir de anteparo à luz excessiva e executar os movimentos das lágrimas em direção ao sistema de drenagem lacrimal, além de contribuir para a beleza e a expressão dos olhos.1,2 Alguns fatores, sendo o principal o envelhecimento cutâneo cronológico, podem levar à perda de elasticidade e ao excesso de pele palpebral superior (dermatocálase superior), causando prejuízos no campo visual e na estética da região periocular.3 Já a dermatocálase palpebral inferior tem maior impacto no aspecto coméstico.4 O laser e as radiofrequências podem ser utilizados no tratamento da dermatocálase,5 mas a cirurgia (blefaroplastia) ainda é a técnica mais utilizada, sendo um procedimento de baixo custo e pouco invasivo.3 A oftalmologia e a cirurgia plástica são as especialidades que, classicamente, realizam a blefaroplastia.3,4,6 No entanto, sabe-se que no cenário do sistema público de saúde, há uma demanda muito alta de pacientes para essas especialidades, tornando as filas de espera para a realização da blefaroplastia bastante longas. A dermatologia, como especialidade clínico-cirúrgica, também pode executar o procedimento, sendo a realização da blefaroplastia por essa especialidade uma opção para reduzir tal demora.7 Além disso, seria importante avaliar se a dermatologia consegue ou não promover resultados satisfatórios no pós-operatório. Entretanto, considerar apenas a avaliação subjetiva do próprio cirurgião assistente não seria o ideal, e a inclusão do parecer de outros médicos, associada a uma avaliação objetiva, reduziria um possível viés de performance.3,6 Um estudo prévio propôs avaliar de forma objetiva os resultados cirúrgicos da blefaroplastia superior realizada por dermatologistas, utilizando a comparação entre a medida da altura da fenda palpebral (AFP) no pré e no pós-operatório.3 Porém, tal estudo contou com uma amostra limitada (apenas nove pacientes) e sugeriu a realização de novos estudos.3 O objetivo deste estudo foi verificar se houve melhora da dermatocálase após a realização de blefaroplastia superior pelo serviço de dermatologia local, investigando, assim, a aptidão da especialidade para a realização do procedimento. Tal melhora foi avaliada tanto quantitativamente, pela comparação entre as medidas de AFP antes e após a cirurgia, quanto qualitativamente, pela avaliação subjetiva pré e pós-operatória de dermatologistas independentes e dos próprios pacientes.

MÉTODOS

Delineamento

Foi realizado um estudo longitudinal e retrospectivo por meio da revisão de prontuários e fotografias de pacientes submetidos à blefaroplastia superior pelo serviço de dermatologia da universidade onde o estudo foi conduzido.

Critérios de inclusão e exclusão

O critério de inclusão dos pacientes no estudo foi a realização da blefaroplastia superior pelo serviço de dermatologia no período de 1 de abril de 2014 a 31 de março de 2023. Já os critérios de exclusão foram: ausência de retorno após a cirurgia; falta de dados que não puderam ser obtidos por convocação ou contato telefônico; realização de fotografias por profissional que não fosse o pesquisador principal; e utilização de câmeras diferentes da Canon T3i.

Métodos de avaliação

Fotografias padronizadas a uma distância de 50 cm, realizadas com a câmera Canon® T3i e lente macro 55, antes do procedimento e após 2 meses da cirurgia, foram comparadas pelo programa Scion Image 4.0. A AFP, em milímetros, definida como a distância da pálpebra superior à pálpebra inferior passando pela pupila, foi calculada a partir das fotos armazenadas (Figura 1). Utilizou-se o programa Pixel Converter para transformar pixels em milímetros, adotando-se milésimos decimais para atribuir os valores em milímetros da AFP.

As fotos de antes e depois do procedimento foram distribuídas a três dermatologistas independentes para avaliação, sem que os especialistas soubessem qual era a fotografia prévia e qual era a posterior à cirurgia (foto A x foto B). Os profissionais, então, forneceram uma nota numérica comparando a evolução da foto A para a B e da foto B para a A, de acordo com a seguinte escala criada pelos pesquisadores: muita piora (-3), moderada piora (-2), discreta piora (-1), sem alterações (0), pouca melhora (+1), discreta melhora (+2) e muita melhora (+3). Apenas os pesquisadores sabiam, por exemplo, que a pontuação -3 poderia corresponder, na verdade, a +3. A avaliação subjetiva do paciente também foi verificada quanto à melhora funcional (campo visual) e/ou estética, utilizando-se as pontuações: melhora (+1), sem melhora (0) e piora (-1).

Figura 1: Medida da altura da fenda palpebral.

A - Pré-blefaroplastia.

B - Pós-blefaroplastia

Avaliação estatística

Os dados foram preenchidos em formulários desenvolvidos pelos próprios pesquisadores. As informações coletadas foram compiladas em planilha Excel para análise estatística, utilizando-se os programas Stata® (versão 13.0, StataCorp, Texas) e Jamovi. Foi aplicado o teste exato de Fisher para comparação de variáveis categóricas e o teste qui-quadrado para tendência. As variáveis contínuas foram analisadas por meio do teste de Wilcoxon-Mann-Whitney. Após a verificação da normalidade das variáveis quantitativas pelo teste de Shapiro-Wilk, foram aplicados os testes não paramétricos de Mann-Whitney e Kruskal-Wallis para comparação dos resultados obtidos. Foram considerados valores de significância estatística (p < 0,05) e intervalo de confiança de 95%. O cálculo do tamanho amostral mínimo resultou em 170 pálpebras (85 pacientes), considerando uma diferença significativa de pelo menos 0,900 mm na AFP entre as medidas pré e pós-blefaroplastia, com nível de significância de 5%, poder de 80% e desvio-padrão de 0,300 mm.

Comitê de Ética

O estudo foi aprovado pelo Comitê de Ética em Pesquisa Envolvendo Seres Humanos do hospital em que o estudo foi realizado, com o Certificado de Apresentação de Apreciação Ética: 69513623.0.0000.5231.

Detalhamento da técnica cirúrgica

Com o paciente em decúbito dorsal horizontal e olhos fechados, realizou-se a marcação em formato fusiforme da pele a ser excisada, utilizando caneta cirúrgica ou azul de metileno. O limite inferior foi traçado a uma distância maior que 8 mm da linha de implantação dos cílios, e o limite superior do fuso foi marcado a mais de 10 mm da margem inferior do supercílio

Figura 2: Desenho da marcação do fuso.

A borda inferior deve distar pelo menos 8 mm da borda ciliar, na linha médio-palpebral. A borda superior deve estar a 10 mm da borda inferior da sobrancelha

(medidas adotadas para evitar lagoftalmia).1 Nas extremidades laterais, foi realizado um leve arqueamento. (Figura 2)

A) Antissepsia com solução tópica de polivinil-iodina a 10%;

B) Infiltração subcutânea na pálpebra superior com lidocaína a 2% associada a vasoconstritor;

C) Incisão da área demarcada com lâmina nº 15 e remoção do tecido até o subcutâneo;

D) Hemostasia;

E) Sutura com fio Mononylon 6-0, com pontos simples;

F) Limpeza e curativo com Micropore estéril.

RESULTADOS

A tabela 1 apresenta os principais achados do estudo. Foram analisadas 170 pálpebras de 85 indivíduos, com idade média de 61,4 anos, predominantemente do sexo feminino (83,5%) e da raça branca (85,9%). Houve diferença significativa entre as médias da AFP pré e pós-blefaroplastia (7,088 versus 8,618 mm; p < 0,001). O Gráfico 1 mostra a comparação entre as medidas de AFP pré e pós-cirurgia.

Na avaliação dos dermatologistas, houve predomínio subjetivo de melhora discreta (52,9%) em relação aos demais achados (47,2%) (p = 0,665). Quando comparada a proporção de melhora versus não melhora, o resultado pós-blefaroplastia foi significativo (94,3 versus 4,7%; p = 0,001). Já nas autoavaliações dos pacientes, observou-se melhora significativa (96,5 versus 3,5%; p = 0,001). O Gráfico 2 mostra as avaliações dos dermatologistas e dos pacientes.

Em relação às correlações da AFP pós-blefaroplastia, a idade dos pacientes apresentou correlação inversa (r = -0,230; p = 0,032). As avaliações dos dermatologistas e as autoavaliações dos pacientes não apresentaram correlações significativas com a AFP pós-blefaroplastia (p > 0,05) (Tabela 2). No entanto, quando comparadas as avaliações dos dermatologistas com as autoavaliações dos pacientes (sem considerar a medida da AFP), observou-se significância estatística (r = 0,351; p < 0,001).

DISCUSSÃO

A casuística do presente estudo observou o predomínio do sexo feminino, com idade média superior a 60 anos, em conformidade com a literatura.8,9 A média da AFP foi de 7,088 e 8,618 mm no pré e pós-cirúrgico (p < 0,001), respectivamente, valores próximos aos encontrados por Schellini et al.3 A média da AFP sem dermatocálase, ou seja, na população adulta jovem, pode variar de acordo com a raça, o país e o sexo. Um estudo turco encontrou média de 10,4 mm para o sexo feminino e 10,3 mm para o masculino.10 Não há dados consolidados sobre a média da AFP após a cirurgia de blefaroplastia. No entanto, Schellini et al.3 relataram média de 7,92 mm no pós-cirúrgico em nove pacientes avaliados, também abaixo da média observada em indivíduos sem dermatocálase, resultado semelhante ao encontrado em nosso estudo. As avaliações subjetivas dos der-

Características

Idade (anos)

Média ±

Mínimo – máximo

Sexo, nº (%)

Masculino

Raça, nº (%) #

nº (%) &

Tabela 1: Características clínicas e demográficas

(n = 170) Pós-cirurgia (n = 170)

(16,5)

(85,9)

(14,1)

(44,7)

(85,9)

(14,1)

(44,7) Auxiliar de enfermagem

(11,8)

(36,5)

Melhora significativa

Melhora moderada

(11,8)

17 (20,0)

19 (22,4)

Melhora discreta Na 45 (52,9)

Mem melhora

Piora discreta

Piora moderada

Piora significativa

nº (%) ¶

Sem melhora

Piora

DP = desvio-padrão.

Na = não se aplica.

Na 4 (4,7)

Na 0 (0,0)

Na 0 (0,0)

Na 0 (0,0)

(96,5)

Na 3 (3,5)

Na 0 (0,0)

# autodefinição da raça que todo paciente responde ao preencher um cadastro no hospital. & costureira, vendedora, manicure, serviços gerais, auxiliar administrativa, técnica em radiologia, comerciante, produtora rural, faxineira, pedreira, técnica em segurança, funcionária pública, desempregada.

*avaliação subjetiva por três dermatologistas independentes, sem utilização de recursos de medição. ¶ autoavaliação do paciente.

2: Coeficientes de correlação entre a medida da fenda palpebral pós-operatória (mm) e as características selecionadas (n = 170)

r = coeficiente de correlação de Pearson.

Para a avaliação médica e a avaliação do paciente, os resultados foram categorizados de 1 a 7 e de 1 a 3, respectivamente.

Tabela

Surg Cosmet Dermatol. 2025;v.17: n.3 jul-sep. p.293-8.

palpebral (mm)

Altura da fenda

Distribuição da altura da fenda palpebral pré e pós-cirurgia

Pré-cirurgia

Avaliação médica subjetiva

Gráfico 1: Distribuição das medidas da AFP pré e pós-cirurgia.

AFP = altura da fenda palpebral.

Pós-cirurgia

Autoavaliação do paciente

Gráfico 2: Gráfico de dispersão comparativo entre as avaliações subjetivas. A avaliação médica subjetiva foi categorizada de 1 a 7 (1 = piora significativa; 2 = piora moderada; 3 = piora discreta; 4 = inalterado ou sem melhora; 5 = melhora discreta; 6 = melhora moderada; 7 = melhora significativa). A autoavaliação foi categorizada de 1 a 3 (1 = piora; 2 = inalterado ou sem melhora; 3 = melhora).

matologistas e as autoavaliações dos pacientes não apresentaram correlações com a AFP pós-operatória (p > 0,05). Os autores levantam a hipótese de que as comparações pré e pós-blefaroplastia são pouco perceptíveis apenas a olho nu, visto que nenhuma das avaliações indicou piora (p < 0,05). Esse achado poderia sugerir que mesmo pequenas melhoras da AFP em milímetros já seriam capazes de favorecer a acuidade visual. A campimetria é o exame padrão para avaliar o campo visual antes e depois da

blefaroplastia. Entretanto, esse exame depende das informações fornecidas pelo paciente, tratando-se de um parâmetro também subjetivo.8 Em nosso estudo, esse teste não foi realizado, assim como no trabalho de Schellini et al. A indicação cirúrgica baseou-se na queixa do paciente e no exame do excesso cutâneo palpebral superior. Até o presente momento, não há na literatura estudos da área de cirurgia plástica que utilizem a medida da AFP ou outra medida objetiva para a avaliação da blefaroplastia

Seko GH, Faria JP, Mioto E, Kasuga LYP, Prestes MCG, Kondo RN.

superior. Além disso, nenhum estudo utilizou, de forma concomitante, três métodos de avaliação dos resultados cirúrgicos (AFP, avaliação de especialistas independentes e autoavaliação do paciente). Entre as limitações do estudo, encontram-se a não realização da campimetria, que poderia fornecer informações adicionais, e o fato de ter sido conduzido em um único centro de referência. Além disso, foi necessária a exclusão de 10 pacientes devido a viés de informação, sendo incluídos outros 10 da listagem consecutiva para manter o tamanho amostral. Apesar dessas limitações, os autores replicaram uma avaliação quantitativa (AFP)3 e a compararam com parâmetros qualitativos, observando

resultados superiores no pós-cirúrgico de forma mais objetiva, oque demonstra que a dermatologia também pode estar apta à realização da blefaroplastia superior.

CONCLUSÃO

O presente estudo observou, por meio da análise de um parâmetro quantitativo (AFP), uma melhora significativa nos pacientes submetidos à cirurgia de blefaroplastia superior realizada pela dermatologia, evidenciando que a especialidade também pode estar apta a contribuir nesse tipo de procedimento. l

REFERÊNCIAS:

1. Kondo RN, Singh BS, Ferreira VP, Araújo MCP. Upper eyelid transposition flap for reconstruction of a lower eyelid defect: a case report. Surg Cosmetic Dermatol. 2022;14:e20220156.

2. Zhou J, Ding J, Li D. Blepharochalasis: clinical and epidemiological characteristics, surgical strategy and prognosis -- a retrospective cohort study with 93 cases. BMC Ophthalmol. 2021;21(1):313.

3. Schellini SA, Preti RC, Yamamoto RK, Padovani CR, Padovan CR. Eyelid measures before and after upper blepharoplasty -- quantitative evaluation. Arq Bras Oftalmol. 2005;68(1):85-8.

4. Fagien S. Advanced rejuvenative upper blepharoplasty: enhancing aesthetics of the upper periorbita. Plast Reconstr Surg. 2002;110(1):278-91.

5. Biesman BS. Blepharoplasty: laser or cold steel? Skin Therapy Lett. 2003;8(7):5-7.

6. Lima CG, Siqueira GB, Cardoso IH, Sant'Anna AE, Osaki MH. Evaluation of dry eye in the preoperative and postoperative period of blepharoplasty. Arq Bras Oftalmol. 2006;69(3):377-82.

7. Scawn R, Gore S, Joshi N. Blepharoplasty basics for the dermatologist. J Cutan Aesthet Surg. 2016;9(2):80-4.

8. Pemberton JD, Salter M, Fay A, Thuro B, Spencer H, Dajani O. Investigation of goldmann perimetry in evaluation of patients for upper eyelid blepharoplasty. Orbit. 2018;37(1):48-52.

9. Homer NA, Zhou S, Watson AH, Durairaj VD, Nakra T. Wound dehiscence following upper blepharoplasty: a review of 2,376 cases. Ophthalmic Plast Reconstr Surg. 2021;37(3S):S66-9.

10. Bozkir MG, Karakaş P, Oĝuz O. Measurements of soft tissue orbits in Turkish young adults. Surg Radiol Anat. 2003;25(1):54-7.

CONTRIBUIÇÃO DOS AUTORES:

Gabriele Harumi Seko 0000-0001-6661-4070

Aprovação da versão final do manuscrito; elaboração e redação do manuscrito; obtenção, análise e interpretação dos dados; revisão crítica da literatura; revisão crítica do manuscrito.

Jéssica Pagan Faria 0000-0001-8727-2348

Aprovação da versão final do manuscrito; elaboração e redação do manuscrito; obtenção, análise e interpretação dos dados; revisão crítica da literatura.

Eldislei Mioto 0000-0001-5376-9292

Aprovação da versão final do manuscrito; elaboração e redação do manuscrito; obtenção, análise e interpretação dos dados; revisão crítica da literatura.

Luan Yudi Prando Kasuga 0009-0006-3724-0034

Aprovação da versão final do manuscrito; elaboração e redação do manuscrito; obtenção, análise e interpretação dos dados; revisão crítica da literatura.

Melissa Caroline Godoi Prestes 0009-0005-3710-9995

Aprovação da versão final do manuscrito; elaboração e redação do manuscrito; obtenção, análise e interpretação dos dados; revisão crítica da literatura.

Rogerio Nabor Kondo 0000-0003-1848-3314

Análise estatística; aprovação da versão final do manuscrito; concepção e planejamento do estudo; elaboração e redação do manuscrito; obtenção, análise e interpretação dos dados; participação efetiva na orientação da pesquisa; participação intelectual em conduta propedêutica e/ou terapêutica de casos estudados; revisão crítica da literatura; revisão crítica do manuscrito.

www.surgicalcosmetic.org.br/

Combinação de peelings químicos e isotretinoína oral no tratamento de cicatrizes de

acne

Combination of chemical peels and oral isotretinoin in the treatment of acne scars

DOI: http://www.dx.doi.org/10.5935/scd1984-8773.2025170427

RESUMO

Introdução: A acne é uma doença crônica prevalente que pode causar efeitos físicos, emocionais e sociais. A isotretinoína e os peelings químicos são tratamentos disponíveis, mas sua combinação foi historicamente evitada devido a relatos de cicatrização anormal. Estudos recentes sugerem que a combinação com peelings superficiais ou médios é segura, mas faltam estudos que levem em conta as características da população brasileira.

Objetivo: Avaliar a segurança e eficácia da combinação de isotretinoína e peelings químicos no tratamento de cicatrizes de acne.

Métodos: Ensaio clínico com pacientes de 15 a 25 anos em tratamento de acne com isotretinoína. O grupo de intervenção realizou três peelings de Jessner durante o uso de isotretinoína, e o grupo controle, após o término do tratamento com isotretinoína. A avaliação foi feita com as escalas EQGACA e IGA por dois avaliadores cegos.

Resultados: Os peelings concomitantes ao uso de isotretinoína não resultaram em piores desfechos nos escores EQGACA e IGA em comparação com o grupo controle.

Conclusão: A combinação de isotretinoína e peelings químicos foi segura, mas estudos com amostras maiores são necessários para estabelecer recomendações.

Palavras-chave: Acne Vulgar; Isotretinoína; Abrasão Química.

Artigo Original

Autores:

Marina Soares Silverio1

Daniel Simão de Andrade1

Carolina Malavassi Murari1

Rossana Cantanhede Farias de Vasconcelos1

Fernanda Rytenband1

1 Universidade de Santo Amaro (UNISA), Dermatologia, São Paulo (SP), Brasil

Correspondência:

Marina Soares Silverio E-mail: silveriomarinas@gmail.com / frytenband@prof.unisa.br

Fonte de financiamento: Nenhuma. Conflito de interesses: Nenhum.

Data de submissão: 27/11/2024 Decisão final: 10/04/2025

ABSTRACT

Introduction: Acne is a prevalent chronic disease that can cause physical, emotional, and social effects. Isotretinoin and chemical peels are available as treatment, but their combination has historically been avoided due to reports of abnormal healing. Recent studies suggest that the combination with superficial or medium-depth peels is safe, but there are no studies considering the specific characteristics of the Brazilian population.

Objective: To evaluate the safety and efficacy of combining isotretinoin and chemical peels in the treatment of acne scars.

Methods: A clinical trial was conducted with patients aged 15 to 25 years undergoing acne treatment with isotretinoin.The intervention group underwent three Jessner’s peels during isotretinoin use, while the control group underwent the same peels after treatment with isotretinoin was completed. Outcomes were assessed using the QGSGS and IGA scales by two blinded evaluators.

Results: Peels performed concomitantly with isotretinoin did not result in worse outcomes on the QGSGS and IGA scales compared to the control group.

Conclusion: The combination of isotretinoin and chemical peels proved to be safe, but further studies with larger samples are needed to establish recommendations.

Keywords: Acne Vulgaris; Isotretinoin; Chemexfoliation.

Como citar este artigo: Silverio MS, Andrade DS, Murari CM, Vasconcelos RCF, Rytenband F. Combinação de peelings químicos e isotretinoína oral no tratamento de cicatrizes de acne. Surg Cosmet Dermatol. 2025;17:e20250427.

Silverio MS, Andrade DS, Murari CM, Vasconcelos RCF, Rytenband F.

INTRODUÇÃO

A acne é a oitava doença mais comum no mundo, afetando mais de meio bilhão de pessoas,1 e estima-se que 50 a 95% dos adolescentes tenham algum grau de acometimento. É classificada como um distúrbio inflamatório crônico da unidade pilo-sebácea, e tem como bases patogênicas os seguintes mecanismos: produção aumentada e anômala do sebo por influência androgênica; queratinização alterada, levando à formação de comedões; colonização folicular por Cutibacterium acnes (C. acnes); e liberação de mediadores inflamatórios na pele como interleucina-1 alfa e TNF-alfa.2 Além da acne vulgar, existe também a acne da mulher adulta, caracterizada pela acne que acomete mulheres acima de 25 anos, e que pode persistir desde a adolescência ou iniciar já na fase adulta.

Em relação à etiopatogenia, essa entidade difere da acne vulgar por ter forte influência hormonal, com alteração do metabolismo dos androgênios, agravamento no período pré-menstrual e maior associação com distúrbios endocrinológicos como a síndrome dos ovários policísticos, hiperplasia adrenal congênita tardia, hiperinsulinismo e resistência periférica à insulina. Além disso, há maior tendência a recidivar, devendo, portanto, receber uma abordagem terapêutica diferente da acne vulgar, com necessidade de tratamento de manutenção.3 A afecção causa lesões dolorosas e pode provocar cicatrizes em até 95% dos pacientes acometidos,4 o que leva a comprometimento físico, emocional e social. Apresenta alta carga global de doença e, entre os diagnósticos dermatológicos, tem o segundo maior DALY (disability-adjusted life years, ou quantidade de anos de vida perdidos por morte prematura e por incapacidade), atrás apenas do eczema, e superando doenças como urticária, psoríase e diversas infecções.5

Para prevenir desfechos desfavoráveis, é importante que tratamentos eficazes sejam instituídos rapidamente. Os principais tratamentos para a acne vulgar leve incluem retinoides tópicos, peróxido de benzoíla, antibióticos tópicos, ácido salicílico e ácido azelaico. Isotretinoína, antibióticos sistêmicos e agentes hormonais como os anticoncepcionais orais e espironolactona podem ser usados para o tratamento da acne moderada a severa. Quanto a outros tratamentos, como peelings químicos, terapia fotodinâmica, lasers e extração mecânica de lesões, mesmo diretrizes mais recentes como o “Guidelines of care for the management of acne vulgaris”, da Academia Americana de Dermatologia,6 descrevem as evidências atuais como insuficientes para determinar uma recomendação.

Entre os principais tratamentos, destaca-se a isotretinoína (ácido 13-cis-retinoico), um derivado da vitamina A, que foi aprovado nos Estados Unidos em 1982 e no Brasil em 1990. Desde então tem sido amplamente utilizado, e atualmente é indicado para as formas de acne nódulo-cística, papulopustulosa moderada resistente aos outros tratamentos, ou com tendência a cicatrizes, e na presença de prejuízo emocional e das funções sociais. Em monoterapia é capaz de induzir a remissão da acne em cerca de 80% dos pacientes.7 Alguns dos mecanismos de atuação contra a acne são a involução da unidade pilossebácea,8 norma-

lização da hiperqueratinização infundibular,7 imunomodulação, com redução de TNF-alfa, interleucina-4, interleucina-17 e interferon-gama,9 e diminuição da população de C. acnes.7 Dessa forma, a isotretinoína é considerada tratamento de primeira linha por ser capaz de tratar a acne efetivamente, prevenir cicatrizes e promover uma melhora rápida na qualidade de vida do paciente. Entre os efeitos adversos mais comuns da isotretinoína estão a queilite, em 94 a 100% dos usuários, e a xerodermia, ou ressecamento de membranas mucosas, em 47% dos casos. Em geral, nenhum dos dois provoca a suspensão do medicamento e ambos podem facilmente ser controlados com hidratantes tópicos e lubrificantes oculares e nasais. Outras ocorrências menos comuns são conjuntivite, queda de cabelo, fragilidade das unhas, granulomas piogênicos, cefaleia e mialgia.10 Alterações laboratoriais foram induzidas em 2% dos pacientes, principalmente hipertrigliceridemia, elevação do colesterol, e elevação de transaminases.11

Contudo, todos esses efeitos colaterais são dose-dependentes, e tendem à normalização após a suspensão do tratamento. Como risco mais grave, e que tem ocorrência dose-independente, há a teratogenicidade, sendo que as gestações podem evoluir com abortamento em até 20% dos casos e embriopatias em até 28%.7 Assim, o tratamento é contraindicado para gestantes, com necessidade de contracepção eficaz e realização de testes para descartar gravidez nas mulheres em idade fértil. Outro efeito adverso referido é a possibilidade de aumento do risco de depressão e suicídio. Porém, uma revisão sistemática de 2007 não constatou evidências para apoiar esta teoria,12 e alguns dos estudos inclusive observaram uma tendência à redução de sintomas depressivos em vigência do tratamento com a isotretinoína.2 Por fim, também é citada na literatura a possibilidade de cicatrização anormal após procedimentos cirúrgicos ou estéticos.

Atualmente, a bula da isotretinoína contém a contraindicação de realização de dermoabrasão agressiva, química e tratamentos cutâneos com laser por 5 a 6 meses após o término do tratamento. Essa recomendação se deve ao risco de ocorrência de cicatrização hipertrófica em áreas atípicas, e hiper ou hipopigmentação nas áreas tratadas.13 Essa inserção na bula se deveu à publicação de três pequenas séries de casos nos anos 1980, nas quais foi relatada a formação de queloides e cicatrização lentificada em um total de 11 pacientes após realização de dermoabrasão e aplicação de laser argônio.14 As hipóteses que explicavam esta alteração na cicatrização eram de que a estimulação de angiogênese ou a produção de inibidores da colagenase resultariam no acúmulo de colágeno.15 Porém, desde então, diversos estudos realizados em animais mostraram taxa de cicatrização de feridas semelhantes nos grupos de intervenção e controle.8

Corroborando a hipótese de que a cicatrização ocorre normalmente nos pacientes em uso de isotretinoína, um estudo observacional retrospectivo brasileiro concluiu que: (1) não foi observada diferença significativa na prevalência de queloides e cicatrizes hipertróficas entre os grupos que utilizaram ou deixaram

de utilizar isotretinoína; (2) não houve piora dos queloides preexistentes nos pacientes em uso da medicação; e (3) uma análise retrospectiva de pacientes com queloides constatou prevalência baixa de uso de isotretinoína previamente.16 Tal contraindicação de realizar determinados procedimentos adjuvantes no tratamento da acne concomitantes ao uso da isotretinoína vai em contraponto a uma assistência de excelência, uma vez que os pacientes com acne grave a ponto de necessitar da isotretinoína são justamente os que mais têm chance de se beneficiar dos tratamentos estéticos.8

Dado que hoje estão disponíveis procedimentos minimamente invasivos como a microdermoabrasão, microagulhamento, lasers fracionados e peelings superficiais, é necessário revisar as recomendações antigas. Entre as terapias adjuvantes para acne, destacam-se os peelings químicos, com as vantagens de serem financeiramente acessíveis em comparação às novas tecnologias, poderem ser realizados em consultório e terem mínimo downtime, ou seja, tempo mínimo de afastamento para recuperação.17

Diversas formulações podem ser usadas como peelings, e o intuito desses procedimentos é promover a descamação terapêutica e controlada da pele. Dessa forma, há uma renovação parcial ou completa da epiderme, podendo atingir ou não a derme, e assim sendo indicados para tratamento de manchas e irregularidades da pele. Nos quadros de pele acneica, pode-se utilizar os peelings tanto para a fase ativa da doença, tendo como alvo otratamento de comedões e lesões inflamatórias, quanto para a fase de cura, objetivando redução de hipercromias e cicatrizes.

Por atuar em ambas as fases da doença, o peeling de Jessner é amplamente utilizado, e consiste em uma solução de ácido salicílico 14%, resorcina 14%, e ácido lático 14% em álcool 95º. O ácido salicílico tem efeito de sebossupressão, queratolítico e anti-inflamatório18; a resorcina é queratolítica; e o ácido lático reduz as hipercromias, sendo seguro mesmo na pele escura.19 Pode ter efeito de peeling superficial a médio, a depender da quantidade de camadas aplicadas, e os principais efeitos adversos envolvidos são orisco de dermatite de contato ao resorcinol, com consequente hiperpigmentação pós-inflamatória. Assim, é preciso ter cautela ao utilizar em pacientes com fototipos de Fitzpatrick altos.17

Alguns estudos tiveram como objetivo analisar a segurança da realização de peelings químicos durante o uso da isotretinoína por via oral e constataram resultados estéticos semelhantes ou até melhores quando ambos os tratamentos foram combinados.8,18,20-22 Isso levou à inclusão dos peelings químicos superficiais no rol de opções terapêuticas para pacientes em uso de isotretinoína em importantes diretrizes como o Consenso de 2017 da Sociedade Americana de Cirurgia Dermatológica (American Society for Dermatologic Surgery - ASDS)8, e no Consenso Brasileiro sobre o uso da isotretinoína de 2019.7 Porém, ainda se observa uma carência de estudos na população brasileira, que tem uma característica de pele específica. Além disso, algumas diretrizes recentes, como “Guidelines of care for the management of acne vulgaris”, da American Academy of Dermatology6 afirmam que, apesar de não haver evidências na literatura para contraindicar os peelings químicos em pacientes com

acne, tampouco há evidências para recomendar sua realização. Logo, estudos complementares sobre o assunto são necessários. Portanto, a acne é uma doença crônica e desfigurante, com grande impacto na vida de seus portadores. Por isso, é crucial iniciar tratamentos efetivos com agilidade e não postergar procedimentos adjuvantes que podem prevenir a formação de cicatrizes, e nesse contexto os peelings configuram-se como arsenal terapêutico junto da isotretinoína. Porém, devido às recomendações prévias de não utilizar esses dois tratamentos concomitantemente, muitos médicos ainda postergam a realização de peelings para a fase pós-cura da doença. Dessa forma, dada a escassez de literatura sobre o assunto, este estudo visa reunir evidências para apoiar a realização de peelings associados à isotretinoína, levando em consideração as especificidades da pele da população brasileira.

MÉTODOS

Este projeto de pesquisa envolvendo seres humanos foi submetido ao Comitê de Ética em Pesquisa da Universidade Santo Amaro e aprovado com o parecer nº 7.004.647. Trata-se de um ensaio clínico controlado, aberto e com avaliadores cegos, a ser realizado durante o ano de 2024 no Complexo de Saúde Dr. Wladimir de Arruda, localizado na Rua Cássio de Campos Nogueira, 2031, São Paulo (SP), Brasil. Os pacientes participantes foram divididos aleatoriamente em dois grupos: os participantes de um dos grupos foram submetidos a três peelings de Jessner concomitantes ao uso da isotretinoína, sendo um peeling ao mês por três meses (4º, 5º e 6º meses do tratamento); os do outro foram submetidos a três peelings de Jessner ao final do tratamento com isotretinoína, no 3º, 4º e 5º meses após o término da medicação. Durante todo o período de uso da isotretinoína e realização dos peelings, foi solicitado que os pacientes utilizassem regularmente de protetor solar FPS 50 ou superior todos os dias, oqual poderia ser fornecido pela pesquisa caso o paciente ainda não usasse um produto de sua preferência. Os peelings foram realizados conforme as seguintes etapas:

Registro fotográfico;

Desengorduramento da pele com álcool;

Aplicação de três camadas de solução de Jessner usando gaze, com intervalo de três minutos entre cada aplicação;

Remoção com água após três minutos.

Durante toda a realização da pesquisa, os pacientes podiam entrar em contato com as pesquisadoras em caso de qualquer intercorrência. Todos os pacientes do serviço eram fotografados antes do início de qualquer tratamento, sendo as fotos arquivadas em prontuário eletrônico e cedidas à pesquisa mediante autorização dos pacientes. Ao final dos tratamentos, também foram realizadas fotografias conforme a seguinte padronização: frontal da face, perfil completo à direita e à esquerda, semiperfil à direita e à esquerda. Ao final das intervenções, os pacientes tiveram suas fotografias de antes e depois avaliadas por dois avaliadores cegos conforme a Escala Quantitativa Global de Avaliação de Cicatrizes de Acne (EQGACA) e a escala Investigator Global Assessment (IGA).23 Ambos os avaliadores são mé-

Silverio MS, Andrade DS, Murari CM, Vasconcelos RCF, Rytenband F.

dicos dermatologistas que não tiveram acesso a informações de identificação dos pacientes ou a qual grupo cada um pertencia. Por fim, os escores foram analisados estatisticamente a fim de determinar qual grupo obteve resultados melhores no tratamento das cicatrizes de acne na face.

O produto utilizado no procedimento foi:

Peeling de Jessner: ácido salicílico 14%, resorcina 14%, ácido lático 14%, álcool 95%. Fórmula magistral - farmácia Drogaderma (CNPJ 43.342.542/0002-36); Requerimento: 546095; Registro: 1656844. Farmacêutico responsável: Dr. Marcio Nogueira Garcia (CRF- SP: 39016). Médico prescritor: Marina Soares Silvério (CRM-SP: 231.782).

CRITÉRIOS DE INCLUSÃO

Foram convidados a participar desta pesquisa todos os pacientes com idade entre 15 e 24 anos atendidos no serviço de Dermatologia da Universidade Santo Amaro diagnosticados com acne de grau 2 ou 3 e que já estivessem em tratamento com isotretinoína por via oral por indicação independente à participação na pesquisa. Além disso, os participantes precisariam ler e assinar o Termo de Consentimento Livre e Esclarecido e o Termo de Autorização de Uso de Imagem.

CRITÉRIOS DE EXCLUSÃO

Foram excluídas deste estudo as pacientes gestantes ou com desejo de engravidar durante a condução da pesquisa ou nos 6 meses subsequentes, os menores de 15 anos e os de idade igual ou superior a 25 anos e aqueles que não concordaram com o Termo de Consentimento Livre e Esclarecido ou com o Termo de Autorização de Uso de Imagem. Durante a pesquisa, também foram excluídos pacientes que não compareceram às consultas agendadas e aqueles que não utilizaram o tratamento com isotretinoína conforme prescrito.

ANÁLISE DE DADOS

Foram aplicadas as escalas EQGACA e IGA para as fotos de início e final de tratamento de cada paciente. As avaliações foram realizadas por avaliadores cegos, ou seja, dois médicos dermatologistas que não participaram das etapas de intervenção e não foram informados sobre a qual grupo cada paciente pertencia. Em seguida, os escores foram analisados estatisticamente para comparação entre os pacientes do grupo de intervenção e grupo controle. Foram aplicados o teste de Mann-Whitney24 para comparar as variáveis entre os grupos de intervenção e controle e o teste de Wilcoxon24 para comparar os períodos antes e depois do tratamento.

RESULTADOS E DISCUSSÃO

Durante a fase de recrutamento, um total de 46 pacientes aceitou participar do estudo. Destes, 21 pacientes concluíram todas as etapas propostas, sendo 12 do grupo de intervenção (4 do sexo masculino e 8 do sexo feminino, 9 de idade entre 15 e 19 anos, 3 de idade entre 20 e 25 anos) e 9 do grupo controle (7 do

Figura 1: Pacientes do grupo de intervenção A e B, com fotos comparativas de antes (linha superior) e depois (linha inferior)
Figura 2: Pacientes do grupo controle (A e B), com fotos comparativas de antes (linha superior) e depois (linha inferior)

Surg Cosmet Dermatol. 2025;v.17: n.3 jul-sep. p.299-307.

Tratamento

Tabela 2: Escores atribuídos às fotos dos pacientes do grupo controle pelos avaliadores

Tratamento 2 (grupo controle)

Avaliador 1

Avaliador 2

sexo masculino e 2 do sexo feminino, 6 de idade entre 15 e 19 anos, 3 de idade entre 20 e 25 anos). Não foi preciso suspender otratamento para nenhum paciente devido a efeitos adversos graves relacionados aos peelings ou ao uso da isotretinoína. Os principais motivos para exclusão dos pacientes do projeto foram: abandono do tratamento com isotretinoína (8 pacientes de ambos os grupos); falta às consultas planejadas (9 pacientes de ambos os grupos); conclusão do tratamento com isotretinoína, mas sem desejo de realizar peeling posteriormente (3 pacientes do grupo controle); realização de outro tratamento facial estético em concomitante à pesquisa (3 pacientes de ambos os grupos); continuação do uso de isotretinoína na data da conclusão do

projeto (2 pacientes do grupo controle). Além da avaliação estatística, foram incluídas imagens ilustrativas de pacientes representativos de cada grupo, com registos padronizados antes e após o tratamento, a fim de demonstrar visualmente a evolução clínica observada (Figuras 1 e 2).

Os escores das fotografias de antes e depois dos tratamentos de ambos os grupos conforme as escalas IGA e EQGACA foram determinados pelos avaliadores (Avaliador 1 e Avaliador 2) e resultaram na Tabela 1 e Tabela 2.

Em relação às características dos grupos estudados, destaca-se a diferença no tamanho da amostra (n) entre os grupos, assim como a heterogeneidade de sua composição no que se refere

Tabela 1: Escores atribuídos às fotos dos pacientes do grupo de intervenção pelos avaliadores

Paciente

Silverio MS, Andrade DS, Murari CM, Vasconcelos RCF, Rytenband F.

Tabela 3: Variação dos escores dos pacientes do grupo de intervenção

Avaliador 1

Tratamento 1 (grupo de intervenção)

Avaliador 2

da variação (μ)

Tabela 4: Variação dos escores dos pacientes do grupo controle

Avaliador 1

Paciente

Tratamento 2 (grupo controle)

Avaliador 2

ao sexo dos indivíduos: o grupo de intervenção contava com 4 pacientes do sexo masculino e 8 do feminino, enquanto o grupo controle contava com 7 do sexo masculino e 2 do feminino. Essa discrepância entre os grupos resultou de uma randomização simples e, principalmente, da necessidade de excluir da pesquisa os indivíduos que desejaram sair do estudo ou que não cumpriram os requisitos do projeto (falta às consultas, não realização dos exames necessários para manter o uso da isotretinoína, realização de outros tratamentos que pudessem interferir nos resultados, entre outros). Assim, a composição da amostra pode ser considerada como um possível viés. Com base nesses escores, foi calculada também a variação dos escores IGA e EQCACA entre o antes e depois para cada paciente, resultando nos valores de ∆IGA e

∆EQGACA, para quantificar quanto cada paciente apresentou melhora ou piora nas lesões e cicatrizes. A partir desses dados, também foi calculada a média da variação (μ) considerando as notas de ambos os avaliadores, resultando em μ∆IGA e μ∆EQGACA, conforme mostrado na Tabela 3 e Tabela 4. Uma análise preliminar indica que a maioria dos escores apresentava resultado neutro ou negativo. Isso significa que houve redução da quantidade de lesões (medida pelo IGA) e redução de cicatrizes (medida pela EQGACA), tanto para os pacientes do grupo de intervenção quanto para os do grupo controle. Excepcionalmente, o paciente E apresentou aumento de EQGACA atribuído pelo Avaliador 1 e o paciente B apresentou aumento de EQGACA atribuído pelo Avaliador 2. Uma hipótese aventa-

Tabela 5: Mediana e média aritmética dos escores do grupo de intervenção

Tratamento 1 (grupo intervenção)

Avaliador 1

Antes

Depois

Antes

Avaliador 2

Depois

Tabela 6: Mediana e média aritmética dos escores do grupo controle

Tratamento 2 (grupo controle)

Avaliador 1

Antes

Tabela 7: Teste de Wilcoxon - Grupo de intervenção

Teste de Wilcoxon (antes x depois)

Tratamento 1 – Grupo de intervenção

Avaliador 1

Avaliador 2

Avaliador 2

Avaliador 1

Tabela 8: Teste de Wilcoxon - Grupo controle

Teste de Wilcoxon (antes x depois)

Tratamento 2 – Grupo controle

da para esse aumento de EQGACA em casos específicos é que a presença de lesões ativas de acne pode prejudicar a análise da quantidade de cicatrizes já presentes num primeiro momento, acarretando um EQGACA falsamente baixo na avaliação inicial. A mediana e a média aritmética dos escores se encontram na Tabela 5 e Tabela 6. Inicialmente, foi aplicado o teste de Wilcoxon para comparar o conjunto de dados de “antes” com o de “depois” dos

Avaliador 2

tratamentos, conforme mostrado na Tabela 7 e Tabela 8. O teste demonstrou que os valores de IGA e EQGACA foram maiores antes do tratamento do que depois para ambos os grupos e ambos os avaliadores, com significância estatística, exceto para o EQGACA do grupo controle segundo o Avaliador 1. Os dados confirmam a hipótese esperada de que ambos os tratamentos promovem melhorias na qualidade de pele dos pacientes, resultando em menor quantidade de lesões (medido

Idade

Silverio MS, Andrade DS, Murari CM, Vasconcelos RCF, Rytenband F.

Tabela 9: Teste de Mann-Whitney para os escores atribuídos por cada avaliador

Teste de Mann-Whitney (compara os dois grupos de estudo)

Avaliador 1

Avaliador 2 Antes

Legenda:

NS = não significativo

z = Escore-z

p = Probabilidade de significância

Tabela 10: Teste de Mann-Whitney para a média das variações nos escores

Mann-Whitney

Média da variação (μ)

z -0,25694 z -0,94626 p 0,79486 p 0,34212

pela IGA) e menor quantidade de cicatrizes (medido pela EQGACA). Apesar de essa informação ser esperada, é importante salientar a conclusão de que o uso dos peelings não foi prejudicial aos pacientes, podendo ter tido efeito neutro ou benéfico. Também foi aplicado o teste de Mann-Whitney, resultando na análise comparativa que se encontra na Tabela 9.

O primeiro dado demonstrado na Tabela 9 é que os participantes de ambos os grupos tinham idades semelhantes. Observa-se também que quando comparados os escores do grupo de intervenção e do grupo controle, não houve diferença estatisticamente significativa para os seguintes parâmetros: IGA antes pelo Avaliador 1, IGA depois pelo Avaliador 1, EQGACA depois pelo Avaliador 1, IGA antes pelo Avaliador 2, EQGACA antes pelo Avaliador 2, IGA depois pelo Avaliador 2, EQGACA depois pelo Avaliador 2. Isso permite inferir que é provável que a realização dos peelings de Jessner durante o tratamento com isotretinoína não influenciou de forma importante a variação de IGA e EQGACA dos pacientes. Foi observada apenas uma diferença estatisticamente significativa quando comparados os valores de “EQGACA antes” segundo o Avaliador 1, pois o grupo de intervenção apresentou valores maiores. Isso pode indicar um viés de seleção, em que os pacientes randomizados para o grupo de intervenção apresentavam um maior acometimento por cicatrizes antes de começarem o tratamento. Porém, a análise dos escores atribuídos pelo Avaliador 2 não corrobora esses dados.

Observa-se também que o número de participantes neste projeto era pequeno. É possível que, com grupos maiores, os resultados pudessem ser estatisticamente significativos. Quando aplicado o teste de Mann-Whitney para a média das variações de escore entre as fotos de antes e depois, também não houve diferença significativa entre os grupos, conforme mostra a Tabela 10.

CONCLUSÃO

Este estudo nos permite concluir que o uso do peeling químico de Jessner como adjunto ao tratamento da acne com isotretinoína em diferentes tempos (durante ou após o término da isotretinoína) não apresentou efeitos prejudiciais. Tanto o grupo de intervenção quanto o grupo controle tiveram resultados estatisticamente significativos de melhora da acne e redução de cicatrizes ao fim do estudo. Os peelings realizados podem ter tido efeitos neutros ou benéficos. Portanto, conclui-se que não há motivo para contraindicar o peeling de Jessner durante o tratamento com isotretinoína. Porém, não foi possível concluir em qual tempo de tratamento devem ser realizados os peelings, pois não houve diferença estatisticamente significativa entre os resultados dos grupos estudados. Mais estudos são necessários para estabelecer uma base sólida o suficiente para recomendar o uso de peelings como parte do tratamento padrão. l

Surg Cosmet Dermatol. 2025;v.17: n.3 jul-sep. p.299-307.

REFERÊNCIAS:

1. Mavranezouli I, Daly CH, Welton NJ, Deshpande S, Laura B, Bromham N, et al. A systematic review and network meta-analysis of topical pharmacological, oral pharmacological, physical and combined treatments for acne vulgaris. Brit J Dermatol. 2022;187(5):639-49.

2. Simonart T. Newer approaches to the treatment of acne vulgaris. Am J Clin Dermatol. 2012;13(6):357-64.

3. Bagatin E, Freitas THP, Machado MCR, Ribeiro BM, Nunes S, Rocha MAD. Adult female acne: a guide to clinical practice. An Bras Dermatol. 2019;94(1):62-75.

4. Cachafeiro TH, Escobar GF, Maldonado G, Cestari TF. Translation into brazilian portuguese and validation of the "quantitative global scarring grading system for post-acne scarring". An Bras Dermatol. 2014;89(5):851-3.

5. Institute for Health Metrics and Evaluation (IHME). Global burden of disease 2021: findings from the GBD 2021 study. Seattle, WA: IHME; 2024.

6. Strauss JS, Krowchuk DP, Leyden JJ, Lucky AW, Shalita AR, Siegfried EC, et al. Guidelines of care for the management of acne vulgaris. J Am Acad Dermatol. 2007;56(4):651-63.

7. Bagatin E, Costa CS, Rocha MAD, Picosse FR, Kamamoto CSL, Pirmez R, et al. Brazilian Society of Dermatology consensus on the use of oral isotretinoin in dermatology. An Bras Dermatol. 2020;95(Suppl 1):19-38.

8. Waldman A, et al. ASDS Guidelines Task Force: consensus recommendations regarding the safety of lasers, dermabrasion, chemical peels, energy devices, and skin surgery during and after isotretinoin use. Dermatol Surg.2017;43(10):1249-62.

9. Karadag AS, Ertugrul DT, Bilgili SG, Takci Z, Akin KO, Calka O. Immunoregulatory effects of isotretinoin in patients with acne. Brit J Dermatol. 2012;167(2):433-5.

10. Brito MFM, Sant’Anna IP, Galindo JCS, Rosendo LHP, Santos JB. Evaluation of clinical adverse effects and laboratory alterations in patients with acne vulgaris treated with oral isotretinoin. An Bras Dermatol. 2010;85(3):331-7.

11. Costa CS, Bagatin E, Martimbianco ALC, Silva EMK, Lúcio MM, Magin P, et al. Oral isotretinoin for acne. Cochrane Database of Syst Rev. 2018;11(11): CD009435.

12. Marqueling AL, Zane LT. Depression and suicidal behavior in acne patients treated with isotretinoin: a systematic review. Semin Cutan Med Surg. 2007;26(4):210-20.

13. Roacutan (isotretinoína): produtos Roche Químicos e Farmacêuticos S.A: capsulas gelatinosas: 20 mg. [Bula para pacientes]. Eberbach, Alemanha: Roche; 2022.

14. Spring LK, Krakowski AC, Alam M, Bhatia A, Brauer J, Cohen J, et al. Isotretinoin and timing of procedural interventions. JAMA Dermatol. 2017;153(8):802-9.

15. Picosse FR, Yarak S, Cabral NC, Bagatin E. Early chemabrasion for acne scars after treatment with oral isotretinoin. Dermatol Surg. 2012;38(9):1521-6.

16. Guadanhim LRS, Gonçalves RG, Bagatin E. Observational retrospective study evaluating the effects of oral isotretinoin in keloids and hypertrophic scars. Int J Dermatol. 2016;55(11):1255-8.

17. Handog EB, Datuin MSL, Singzon IA. Chemical peels for acne and acne scars in asians: evidence based review. J Cutan Aesthet Surg. 2012;5(4):239-46.

18. Chandrashekar BS, Vadlamudi SR, Shenoy C. Safety of performing superficial chemical peels in patients on oral isotretinoin for acne and acne-induced pigmentation. J Clin Aesthetic Dermatol. 2021;14(11):41-3.

19. Yokomizo VMF, Benemond TMH, Chisaki C, Benemond PH. Chemical peels: review and practical applications. Surg Cosmet Dermatol. 2013;5(1):58-68.

20. Mysore V, Mahadevappa OH, Barua S, Majid I, Viswanath V, Bhat RM, et al. Standard guidelines of care: performing procedures in patients on or recently administered with isotretinoin. J Cutan Aesthet Surg. 2017;10(4):186-94.

21. Mahadevappa OH, Mysore V, Viswanath V, Thurakkal S, Majid I, Talwar S, et al. Surgical outcome in patients taking concomitant or recent intake of oral isotretinoin: a multicentric study-iso-aims study. J Cutan Aesthet Surg. 2016;9(2):106-14.

22. Kar BR, Tripathy S, Panda M. Comparative study of oral isotretinoin versus oral isotretinoin + 20% salicylic acid peel in the treatment of active acne. J Cutan Aesthet Surg. 2013;6(4):204-8.

23. Bae IH, Kwak JH, Kim MS, Shin BS, Choi H.Comprehensive review of the acne grading scale in 2023. Ann Dermatol. 2024;36(2):65-73.

24. Siegel S, Castellan Jr NJ. Estatística não-paramétrica para ciências do comportamento. 2nd. ed. Porto Alegre: Artmed; 2006. 448 p.

CONTRIBUIÇÃO DOS AUTORES:

Marina Soares Silverio 0009-0005-0039-1667

Análise estatística, Aprovação da versão final do manuscrito, Concepção e planejamento do estudo, Elaboração e redação do manuscrito, Obtenção, análise e interpretação dos dados, Participação efetiva na orientação da pesquisa, Participação intelectual em conduta propedêutica e/ ou terapêutica de casos estudados, Revisão crítica da literatura, Revisão crítica do manuscrito.

Daniel Simão de Andrade 0009-0003-4002-5288

Aprovação da versão final do manuscrito, Obtenção, análise e interpretação dos dados, Revisão crítica do manuscrito.

Carolina Malavassi Murari 0000-0001-6688-5145

Aprovação da versão final do manuscrito, Obtenção, análise e interpretação dos dados, Revisão crítica do manuscrito.

Rossana Cantanhede Farias de Vasconcelos 0000-0002-6185-1840

Aprovação da versão final do manuscrito, Revisão crítica do manuscrito.

Fernanda Rytenband 0000-0002-2882-1658

Análise estatística, Aprovação da versão final do manuscrito, Concepção e planejamento do estudo, Elaboração e redação do manuscrito, Obtenção, análise e interpretação dos dados, Participação efetiva na orientação da pesquisa, Participação intelectual em conduta propedêutica e/ ou terapêutica de casos estudados, Revisão crítica da literatura, Revisão crítica do manuscrito.

www.surgicalcosmetic.org.br/

Avaliando o impacto dos anticorpos antinucleares na gravidade e nos tipos de vitiligo: estudo clínico investigativo retrospectivo

Assessing the impact of anti-nuclear antibodies on the severity and types of vitiligo: a retrospective clinical investigation

DOI: http://www.dx.doi.org/10.5935/scd1984-8773.2025170432

RESUMO

Introdução: O vitiligo é uma doença pigmentar autoimune caracterizada por máculas despigmentadas na pele. Está associado a uma série de doenças autoimunes. Os anticorpos antinucleares (ANA) estão implicados no vitiligo, mas a sua associação com a gravidade da doença permanece obscura.

Objetivo: Este estudo tem como objetivo avaliar os níveis séricos de ANA e sua relação com a gravidade e os tipos de vitiligo.

Métodos e Pacientes: Este é um estudo retrospectivo usando registros de pacientes preexistentes da Unidade de Distúrbios Pigmentares do Hospital de Dermatologia e Venereologia do Cairo. A análise incluiu pacientes com registros médicos completos, incluindo dados demográficos, avaliação clínica (escores VIDA e VASI) e resultados laboratoriais dos títulos de ANA. Sua correlação com a gravidade da doença e a demografia dos pacientes foi analisada.

Resultados: O estudo determinou que 462 pacientes (33%) eram positivos para ANA, com maior prevalência no sexo feminino (350 pacientes; 75,8%).

Conclusões: Foi observada uma correlação significativa entre positividade para ANA e histórico familiar de vitiligo e doenças autoimunes sistêmicas, como diabetes mellitus tipo 1 e doenças da tireoide. Correlações positivas fracas foram encontradas entre ANA e diferentes tipos de vitiligo e escores de gravidade da doença.

Conclusão: Há uma forte associação entre vitiligo e condições autoimunes sistêmicas. Recomenda-se o monitoramento de rotina de marcadores autoimunes em pacientes com vitiligo.

Palavras-chave: Vitiligo; Anticorpos Antinucleares; Doenças Autoimunes.

ABSTRACT

Introduction: Vitiligo is an autoimmune pigmentary disorder characterized by depigmented macules on the skin. It is associated with a range of autoimmune diseases. Antinuclear antibodies (ANA) are implicated in vitiligo, but their association with disease severity remains unclear.

Objective: This study aims to assess antinuclear antibody (ANA) serum levels and evaluate their relationship with the severity and types of vitiligo.

Methods and Patients: This is a retrospective study using preexisting patient records from the Pigmentary Disorders Unit of the Cairo Hospital of Dermatology and Venereology. The analysis included patients with complete medical records, including demographic data, clinical evaluation (VIDA and VASI scores), and laboratory results for ANA titer. Their correlation with disease severity and patient demographics was analyzed.

Results: The study found that 462 patients (33%) were positive for ANA, with a higher prevalence in females (350 patients; 75.8%). A significant correlation was observed between ANA positivity and family history of vitiligo and systemic autoimmune diseases such as type 1 diabetes mellitus and thyroid disease. Weak positive correlations were found between ANA, different types of vitiligo, and disease severity scores.

Conclusion: Vitiligo is strongly associated with systemic autoimmune conditions. Routine monitoring of autoimmune markers in patients with vitiligo is recommended.

Keywords: Vitiligo; Antibodies, Antinuclear; Autoimmune Diseases.

Artigo Original

Autores:

Rasha Aoun1

Dalia Hossam1

Ahmed Sadek1 Shaimaa Farouk1

1 Hospital de Dermatologia e Venereologia do Cairo (Al-Haud Al-Marsoud), Ministério da Saúde e da População do Egito, Departamento de Dermatologia, Cairo, Egito

Correspondência: Shaimaa Farouk

E-mail: dr.shaimaafarouk@gmail.com

Fonte de financiamento: Nenhuma Conflito de interesse: Nenhum

Data de submissão: 18/12/2024 Decisão final: 20/03/2025

Como citar este artigo: Aoun R, Hossam D, Sadek A, Farouk S. Avaliando o impacto dos anticorpos antinucleares na gravidade e nos tipos de vitiligo: estudo clínico investigativo retrospectivo. Surg Cosmet Dermatol. 2025;17:e20250432.

INTRODUÇÃO

O vitiligo é uma doença pigmentar de etiologia autoimune caracterizada por máculas ou manchas despigmentadas na pele. Estima-se que sua prevalência mundial seja de cerca de 0,5 a 2%.1 Embora não represente risco à vida ou à saúde dos órgãos, a condição tem um impacto significativo no bem-estar psicológico e na qualidade de vida dos pacientes.

Clinicamente, o vitiligo pode ser classificado em três tipos principais: segmentar, não segmentar e misto (segmentar e não segmentar).2 O Vitiligo Area Scoring Index (VASI, Índice de Escore de Área de Vitiligo) e o Vitiligo Disease Activity Score (VIDA, Escore de Atividade da Doença do Vitiligo) são duas ferramentas importantes usadas para avaliar o vitiligo na prática clínica. O VASI calcula um escore com base no percentual da pele afetada para avaliar a extensão e o grau de despigmentação, o que otorna útil para acompanhar a resposta ao tratamento ao longo do tempo.3 O VIDA, por outro lado, mede a atividade da doença com base na sua progressão ao longo dos últimos seis meses de acordo com o paciente, o que gera informações sobre o nível de atividade da doença.4 Juntos, os dois instrumentos oferecem uma visão abrangente da gravidade e da progressão da doença.

Acredita-se que o vitiligo tenha uma patogênese complexa e que seja uma doença poligênica multifatorial. A causa exata da perda de melanócitos epidérmicos no vitiligo ainda é desconhecida, apesar de diversas teorias terem sido propostas, incluindo mecanismos autoimunes, autocitotóxicos, bioquímicos, neurológicos e genéticos.5 Atualmente, a explicação mais provável é a teoria autoimune.6 Autoanticorpos conhecidos como anticorpos antinucleares (ANA) ou fator antinuclear (FAN) atacam diversos componentes celulares.

Muitos tipos diferentes de doenças do tecido conjuntivo normalmente têm níveis positivos de ANA e exames de laboratório costumam ser usados para a triagem de lúpus eritematoso sistêmico (LES) e outras doenças do tecido conjuntivo devido à sua sensibilidade extremamente alta, mas baixa especificidade.7 Há um debate sobre testar ou não os níveis de ANA de pacientes com vitiligo. De acordo com uma metanálise recente, a prevalência de ANA é mais elevada entre pacientes com vitiligo do que na população em geral.8 Por ser uma doença autoimune com envolvimento de linfócitos T, a positividade para ANA pode ser altamente prevalente entre pacientes com vitiligo. O objetivo deste estudo foi avaliar os níveis de anticorpos antinucleares e a sua relação com a gravidade de diferentes tipos de vitiligo.

MATERIAIS

E MÉTODOS

Este estudo foi uma investigação clínica retrospectiva que utilizou prontuários de pacientes preexistentes da Unidade de Desordens Pigmentares do Hospital de Dermatologia e Venereologia do Cairo (Al-Haud Al-Marsoud). Foram incluídos pacientes com diagnóstico confirmado de vitiligo com base em exame clínico e lâmpada de Wood e que tinham prontuários médicos completos, incluindo dados demográficos, avaliação clínica (escores VIDA e VASI) e exames de laboratório para tí-

tulos de ANA. O estudo foi realizado entre setembro de 2023 e outubro de 2024. Os pacientes com vitiligo foram incluídos independentemente de sexo e de idade. Os prontuários de mulheres grávidas e lactantes, assim como pacientes com histórico de malignidades, foram excluídos.

Coleta de Dados

Os dados dos pacientes foram extraídos dos prontuários de pacientes da Unidade de Desordens Pigmentares do Hospital de Dermatologia e Venereologia do Cairo, incluindo:

1. Dados demográficos (idade, sexo e histórico familiar de vitiligo).

2. Histórico clínico (início, curso, duração da lesão, histórico de medicamentos, doenças sistêmicas como diabetes mellitus, lúpus eritematoso sistêmico e doenças da tireoide) e condições dermatológicas associadas (alopecia areata e psoríase, por exemplo).

3. Vitiligo Disease Activity Score (VIDA); Inclui uma escala de seis pontos para medir a atividade do vitiligo (escores de +4 a -1).4

3.1 Doença ativa: escore VIDA +4 a +1

3.2 Doença estável: escore VIDA 0 a -1

4. Vitiligo Area Scoring Index (VASI).21

A fórmula é composta do envolvimento de todas as áreas do corpo (amplitude provável, 0–100) da seguinte forma: VASI = ∑ Todas as áreas corporais (unidades de mão) × (despigmentação restante). Uma unidade de mão, composta da palma mais a superfície volar de todos os dedos, representa aproximadamente 1% da área de superfície corporal total. O grau de despigmentação restante é registrado como o percentual mais próximo: 0%, 10%, 25%, 50%, 75%, 90% ou 100%. Em 100% de despigmentação, não há pigmentação restante; em 90%, há pontos de despigmentação; em 75%, a área despigmentada é maior do que a área pigmentada; em 50%, as áreas despigmentadas e pigmentadas são idênticas; em 25%, a área pigmentada é maior do que a área despigmentada; em 10%, há apenas pontos de despigmentação.

5. Resultados de exames de laboratório: Os ANA foram detectados por coloração de imunofluorescência em seções de células Hep-2. Os ANA foram classificados como positivos quando detectáveis em diluições de 1:80, 1:160 e 1:320 ou superiores.

De acordo com os critérios de inclusão e de exclusão, 2390 pacientes eram elegíveis para o presente estudo, mas apenas 1400 tinham prontuários médicos completos, incluindo dados demográficos, avaliação clínica, escores VIDA e VASI e exames de laboratório para títulos de ANA.

Análise estatística:

Todas as análises estatísticas foram realizadas com o programa SPSS, versão 28 (SPSS Inc., Chicago, IL). Os dados são apresentados como n e %. Valores de p ≤0,05 e ≤0,01 foram considerados o ponto de corte para diferenças estatisticamente significativas entre as variáveis. As variáveis categóricas são apresentadas como frequência e porcentagem, enquanto as variáveis contínuas são apresentadas como média (DP). As variáveis categóricas foram comparadas usando o teste do qui-quadrado (χ2) e, quando necessário, o coeficiente de correlação de Pearson, A significância estatística adotada foi de p < 0,05. Foi utilizada a análise de variância de duas vias para avaliar as diferenças nas variações médias de variáveis quantitativas.

(anos)

Faixa etária (anos)

a 17 anos

a 30 anos

RESULTADOS

O estudo incluiu 1400 pacientes diagnosticados com vitiligo. A média de idade dos pacientes foi de 24,71 anos (13,432), variando de 3 a 55 anos. Por faixa etária, 37% dos pacientes tinham entre 3 e 17 anos, 27% tinham entre 18 e 30 anos e 36% tinham entre 31 e 55 anos. A maioria dos participantes era do sexo feminino (77%), enquanto os pacientes do sexo masculino representavam 23% do total. A duração média da doença foi de 2,45 anos (1,359), variando entre 1 e 10 anos. A duração da doença teve a seguinte distribuição: 84% dos pacientes apresentavam vitiligo há 1 a 3 anos, 15% há 4 a 6 anos e apenas 1% há 7 a 10 anos. Um histórico familiar positivo de vitiligo foi informado por 24% dos pacientes, enquanto 76% não possuíam histórico

Tabela 1: Características sociodemográficas dos pacientes do estudo

Duração do vitiligo (anos)

Duração do vitiligo (anos)

Histórico familiar de vitiligo

± DP Mínimo Máximo 2,45 ± 1,359

(positiva)

ANA: anticorpos antinucleares.

familiar da doença. Em relação a desordens dermatológicas associadas, 7% dos pacientes informaram ter alopecia areata (AA) e 4% tinham psoríase. Contudo, 89% dos pacientes não tinham desordens dermatológicas associadas. Além disso, 6% tinham diabetes mellitus (DM) tipo 1, 10% tinham doença da tireoide (DT), 6% tinham LES e 4% tinham artrite reumatoide (AR), enquanto 74% não tinham desordens sistêmicas associadas. Por fim, 33% eram positivos para ANA e 67% eram negativos (Tabela 1). Foi encontrada uma correlação positiva fraca entre ANA e faixa etária, sexo e duração da doença (χ² = 1,85, p = 0,397- χ² = 0,043, p = 0,512 e χ² = 2,307, p = 0,316, respectivamente). Foi encontrada uma correlação positiva altamente significativa entre histórico familiar de vitiligo e positividade para ANA (χ² = 56,388, p < 0,0001). Entre pacientes com histórico familiar de vitiligo, 69,7% eram positivos para ANA, em comparação com 30,3% dos pacientes sem histórico familiar da doença. Foi encontrada uma correlação positiva fraca entre ANA e desordens dermatológicas associadas (χ² = 1,580, p = 0,110). Foi observada uma correlação positiva altamente significativa entre ANA e desordens sistêmicas associadas (χ² = 50,758, p < 0,0001) devido a todos os pacientes (100%) com DM tipo 1. A DT foi a mais

frequente entre pacientes positivos para ANA (30,3%), seguida por DM tipo 1 e LES (18,2%) e RA (12,1%) (Figura 1).

Foi observada uma correlação positiva fraca entre valores de ANA e diferentes tipos de vitiligo. A ANA negativa <1:40 foi mais frequente entre todos os tipos de vitiligo, exceto o vitiligo universal (Tabela 2).

Foi encontrada uma correlação positiva fraca entre valores de ANA e tipos de vitiligo (χ² = 14,573, p = 0,951). As formas acrofacial (não segmentar) e generalizada (não segmentar) de vitiligo foram os tipos mais frequentes em relação aos níveis de ANA (Tabela 3).

Foi observada uma correlação positiva fraca entre escores VASI, escores VIDA e valores de ANA (Tabela 4).

DISCUSSÃO

O vitiligo é uma condição dermatológica caracterizada por anormalidades melanocíticas que resultam na despigmentação da pele, membranas mucosas e pelos. Embora possa surgir em qualquer faixa etária e em qualquer grupo étnico, o vitiligo geralmente se manifesta antes dos trinta anos de idade. O início do vitiligo foi ligado a diversos fatores etiológicos, in-

Figure 1: Correlation between antinuclear antibodies (ANA) and demographic characteristics ofthe studypatients

Histórico familiar Desordens dermatológicas associadas

Figura 1: Correlação entre anticorpos antinucleares (ANA) e características demográficas dos pacientes do estudo P=0,512

Desordens sistêmicas associadas

Variável Acrofacial

Tabela 2: Correlação entre grupos de ANA e tipos de vitiligo

Tipo de vitiligo

70

(NSV) = 14

(NSV) = 28

(<1:40)

Positiva (≥1:160)

Tabela 3: Correlação entre valores de ANA e tipos de vitiligo

(padrão

(padrão homogêneo)

ANA: anticorpos antinucleares.

4: Correlação entre os escores VASI e VIDA e os níveis de ANA

ASI: Vitiligo Area Scoring Index (Índice de Escore de Área de Vitiligo); VIDA: Vitiligo Disease Activity Score (Escore de Atividade da Doença do Vitiligo); ANA: anticorpos antinucleares.

cluindo mecanismos imunológicos, neurológicos e endócrinos, exposições ambientais e genética. Embora o vitiligo e as doenças autoimunes possam coexistir, essas associações nem sempre resultam em despigmentação.9

O presente estudo incluiu 1400 pacientes com vitiligo entre 3 e 55 anos (média, 24,7 anos), o que é consistente com outros relatos. Em um estudo de 246 casos de vitiligo, a idade média foi

de 25,9 anos, enquanto outro relatou uma média de 34,5 anos para 69 pacientes com vitiligo. Além disso, em um estudo de 74 pacientes com vitiligo, a idade variou entre 5 e 68 anos (média, 31,5 anos), o que é semelhante aos achados deste estudo.10 Neste estudo, 322 pacientes eram do sexo masculino (23%) e 1078 (77%) do sexo feminino. Morales-Sánchez et al. (2017) informam que entre 150 pacientes com vitiligo recruta-

Tabela

dos para o seu estudo, 103 (68,7%) eram mulheres e 47 (31,3%) eram homens.11 Por outro lado, Dégboé et al. (2017) tinham mais homens (131; 53,3%) afetados pela doença do que mulheres (115; 46,7%).12 O número de pacientes do sexo feminino com vitiligo pode ser maior porque mulheres percebem mudanças em sua aparência e procuram médicos mais cedo do que homens; além disso, por causa do estigma social, mulheres jovens tendem a relatar a condição mais cedo devido a preocupações matrimoniais.13

A duração do vitiligo neste estudo variou entre 1 e 10 anos, com a duração de 1 a 3 anos sendo a mais comum (84%). Taneja et al. (2021) relatam durações de 2 a 4 anos, muito semelhante aos resultados do presente estudo; a pequena diferença pode se dever ao maior número de pacientes (200 casos).14

Um histórico familiar positivo de vitiligo estava presente em 24% dos casos no presente estudo, enquanto 76% dos casos não tinham histórico familiar. Alenizi et al. (2014) relatam que 18% dos pacientes tinham histórico familiar positivo de vitiligo; é possível que a pequena diferença seja explicada pela diferença no tamanho da amostra (o presente estudo incluiu 1400 pacientes, Alenizi et al. tinham 74).15

Em relação a desordens dermatológicas associadas com ovitiligo, AA foi observada em 7% dos pacientes e psoríase em 4%, enquanto 83% dos participantes não tinham nenhuma. Barbulescu et al. (2020) informam que vitiligo e AA são condições autoimunes comuns, caracterizadas por manchas despigmentadas na pele e áreas glabras no couro cabeludo.16 Um estudo retrospectivo de 1098 pacientes com vitiligo identificou a AA como a doença autoimune mais comum associada com o vitiligo.17

As desordens sistêmicas associadas no presente estudo incluíam DM tipo 1 (6%), DT (10%), LES (6%) e AR (4%). O estudo transversal de larga escala de Choi et al. (2017) determinou que 86.210 pacientes com vitiligo tinham risco elevado de LES.18 Em um estudo transversal descritivo, 7,79% de 154 pacientes com vitiligo também tinham psoríase.19 Consistente com os resultados do presente estudo, Percivalle et al. (2009) relatam que entre 712 pacientes com vitiligo, apenas 3% tinham psoríase associada.20 Em um estudo retrospectivo de 10 anos envolvendo 3280 pacientes, Sheth et al. (2013) mostram que comorbidades autoimunes ocorrem em aproximadamente 23% dos pacientes com vitiligo, incluindo DT, AR, doença inflamatória intestinal, LES e DM tipo 1.21

Diversos estudos sugerem que o vitiligo está associado com outras doenças autoimunes, incluindo DT, AA, DM tipo 1, anemia perniciosa e AR. Entre elas, as doenças da tireoide eram frequentes entre pacientes com vitiligo.21,22

A prevalência da positividade para ANA no presente estudo foi de 33%. Os achados são consistentes com aqueles relatados por Chaiyabutr et al. (2020) em seu estudo de 85 pacientes tailandeses com vitiligo, entre os quais a prevalência de ANA era de 35,3%. Aquele estudo concluiu que o padrão de ANA pontilhado positivo era o mais comum, enquanto o padrão de ANA homogêneo foi o mais comum no presente estudo.23 A positividade para ANA foi maior para pacientes do sexo feminino (75,8%) do que para os do sexo masculino (24,2%); isso está de acordo com o re-

lato de Chaiyabutr et al. (2020), que concluíram que o sexo feminino era um fator associado com positividade para ANA (90%).23 Não havia uma correlação estatisticamente significativa entre faixa etária e positividade para ANA; os pacientes com 3 a 17 anos tinham a maior positividade para ANA (39,4%), seguidos pelos pacientes com 18 a 30 anos (33,3%). Esses achados são consistentes com o relato de Chaiyabutr et al. (2020), que concluíram que “positividade para ANA não estava associada com idade, mas estava associada com sexo feminino”.23 Kroon et al. (2013) não identificaram uma correlação entre a presença de anticorpos e atividade recente da doença ou outras características clínicas, como idade, sexo, extensão e duração do vitiligo; da mesma forma, o presente estudo não identificou uma correlação significativa entre positividade para ANA e duração da doença.24 Não havia uma correlação significativa entre positividade para ANA e histórico familiar de vitiligo; o mesmo achado foi informado por Lin X et al. (2011).25 Foi encontrada uma correlação positiva entre positividade para ANA e desordens dermatológicas associadas, como AA e psoríase, consistente com os achados informados por Garg et al. (2015).26 Havia uma correlação significativa entre positividade para ANA e desordens sistêmicas associadas para todos os pacientes com DM tipo 1, DT, LES e AR, consistente com os achados de Chivu et al. (2022).9 Kanani et al. (2023) concluíram que não havia uma associação significativa entre vitiligo e outras doenças autoimunes. A identificação e caracterização dos anticorpos antinucleares em pacientes com vitiligo são indicadores essenciais que apoiam os achados de pesquisas anteriores indicando que o vitiligo é uma doença autoimune e podem ajudar a embasar a possível incidência de outras condições autoimunes.27 O presente estudo identificou uma correlação positiva fraca entre positividade para ANA e escores VASI, com 37,1% e 33,8% positivos para ANA para escores VASI de 2 a 7 e para mais de 7 a 13, respectivamente, semelhante aos achados de Chivu et al. (2022).9 Havia uma correlação positiva fraca entre positividade para ANA e diferentes tipos de vitiligo, com 35% para a forma acrofacial (não segmentar) e 33,8% para a forma generalizada (não segmentar). Isso é consistente com os achados de Ekhlas et al. (2023),27 mas mais elevado do que os achados de Kasumagic-Halilovic et al. (2013),28 que detectaram ANA em 17% dos pacientes com vitiligo; a diferença pode se dever ao maior tamanho amostral do presente estudo.

CONCLUSÃO

O presente estudo relatou uma prevalência significativa de anticorpos antinucleares em pacientes com vitiligo. Portanto, para permitir a detecção precoce e intervenções tempestivas, recomenda-se a realização de testes para doenças autoimunes em pacientes com vitiligo. O vitiligo deve ser considerado uma doença sistêmica e não apenas cutânea.

RECOMENDAÇÕES

1.Dermatologistas devem testar rotineiramente a presença de anticorpos antitireoidianos e antinucleares em pacientes

com vitiligo, especialmente aqueles com histórico familiar de doença autoimune.

2.Para obter desfechos melhores, incentive uma abordagem multidisciplinar, envolvendo dermatologistas, endocrinologistas e reumatologistas, de forma a otimizar os cuidados para pacientes com vitiligo com marcadores autoimunes.

3.Eduque os pacientes sobre a possível relação entre marcadores autoimunes e vitiligo, enfatizando a importância do monitoramento e manejo regular de condições autoimunes. l

REFERÊNCIAS:

1. Joge RR, Kathane PU, Joshi SH. Vitiligo: a narrative review. Cureus. 2022;14(9):e29307.

2. Zhang Y, Cai Y, Shi M, Jiang S, Cui S, Wu Y, et al. The prevalence of vitiligo: a meta-analysis. PloS one. 2016;11(9):e0163806.

3. Al Hammadi A, Castro CCS, Parmar NV, Ubogui J, Hatatah N, Ahmed HM, Llamado L. Prevalence and burden of vitiligo in Africa, the Middle East and Latin America. Skin Health and Disease. 2024;4(1):e317.

4. Al-Shammari SA, Alotaibi HM, Assiri MA, Altokhais MI, Alotaibi MS, Alkhowailed MS. Quality of life in vitiligo patients in central Saudi Arabia. Saudi Med J. 2021;42(6):682-7.

5. Ezzedine K, Lim HW, Suzuki TA, Katayama I, Hamzavi I, Lan CC, et al. Revised classification/nomenclature of vitiligo and related issues: the Vitiligo Global Issues Consensus Conference. Pigment Cell Melanoma Res. 2012;25(3):E1-13.

6. Kemp EH, Waterman EA, Weetman AP. Autoimmune aspects of vitiligo. Autoimmunity. 2001;34(1):65-77.

7. Dwivedi M, Kemp EH, Laddha NC, Mansuri MS, Weetman AP, Begum R. Regulatory T cells in vitiligo: implications for pathogenesis and therapeutics. Autoimmunity Rev. 2015;14(1):49-56.

8. Alkhateeb A, Fain PR, Thody A, Bennett DC, Spritz RA. Epidemiology of vitiligo and associated autoimmune diseases in caucasian probands and their families. Pigment Cell Res. 2003;16(3):208-14.

9. Chivu AM, Bălășescu E, Pandia LD, Nedelcu RI, Brînzea A, Turcu G, et al. Vitiligo— thyroid disease association: when, in whom, and why should it be suspected? a systematic review. J Personal Med. 2022;12(12):2048.

10. Rashed L, Hay RA, Mahmoud R, Hasan N, Zahra A, Fayez S. Association of angiotensin-converting enzyme (ace) gene polymorphism with inflammation and cellular cytotoxicity in vitiligo patients. PloS one. 2015;10(7):e0132915.

11. Morales-Sánchez MA, Vargas-Salinas M, Peralta-Pedrero ML, Olguín-García MG, Jurado-Santa Cruz F. Impact of vitiligo on quality of life. Actas Dermosifiliogr. 2017;108(7):637-42.

12. Dégboé B, Atadokpèdé F, Saka B, Adégbidi H, Koudoukpo C, Yédomon H, do Ango‐ Padonou F. Vitiligo on black skin: epidemiological and clinical aspects in dermatology, Cotonou (Benin). Int J Dermatol. 2017;56(1):92-6.

13. Vora RV, Patel BB, Chaudhary AH, Mehta MJ, Pilani AP. A clinical study of vitiligo in a rural set up of Gujarat. Indian J Community Med. 2014;39(3):143-6.

14. Taneja N, Sreenivas V, Sahni K, Gupta V, Ramam M. Disease stability in segmental and non-segmental vitiligo. Indian Dermatol Online J. 2022;13(1):60-3.

15. Alenizi DA. Consanguinity pattern and heritability of vitiligo in Arar, Saudi Arabia. J Family Community Med. 2014;21(1):13-6.

AUTHOR’S CONTRIBUTION:

Rasha Aoun 0009-0008-3863-4275

16. Barbulescu CC, Goldstein NB, Roop DR, Norris DA, Birlea SA. Harnessing the power of regenerative therapy for vitiligo and alopecia areata. J Invest Dermatol. 2020;140(1):29-37.

17. Gill L, Zarbo A, Isedeh P, Jacobsen G, Lim HW, Hamzavi I. Comorbid autoimmune diseases in patients with vitiligo: a cross-sectional study. J Am Acad Dermatol. 2016;74(2):295-302.

18. Choi CW, Eun SH, Choi KH, Bae JM. Increased risk of comorbid rheumatic disorders in vitiligo patients: a nationwide population‐based study. J Dermatol. 2017;44(8):909-13.

19. Yazdanpanah MJ, Banihashemi M, Pezeshkpoor F, Moradifar M, Feli S, Esmaeili H.Evaluation between association of psoriasis and vitiligo. J Cutan Med Surg. 2015;19(2):140-3.

20. Percivalle S, Piccinno R, Caccialanza M. Concurrence of vitiligo and psoriasis: a simple coincidence? Clin Exp Dermatol. 2009;34(1):90-1.

21. Sheth VM, Guo Y, Qureshi AA. Comorbidities associated with vitiligo: a ten-year retrospective study. Dermatology. 2014;227(4):311-5.

22. McLeod DS, Cooper DS. The incidence and prevalence of thyroid autoimmunity. Endocrine. 2012;42(2):252-65.

23. Chaiyabutr C, Wongpraparut C, Charoenpipatsin N, Pruksaeakanan C, Silpa‐archa N. The necessity of antinuclear antibody investigation in pre‐phototherapy vitiligo patients: a retrospective study. Photodermatol Photoimmunol Photomed. 2020;36(5):373-7.

24. Kroon MW, Kemp EH, Wind BS, Krebbers G, Bos JD, Gawkrodger DJ, et al. Melanocyte antigen‐specific antibodies cannot be used as markers for recent disease activity in patients with vitiligo. J Eur Acad Dermatol Venereol. 2013;27(9):1172-5.

25. Lin X, Tian H, Xianmin M. Possible roles of B lymphocyte activating factor of the tumour necrosis factor family in vitiligo autoimmunity. Med Hypotheses. 2011;76(3):339-42.

26. Garg S, Mahajan VK, Mehta KS, Chauhan PS, Gupta M, Yadav RS, et al. Vitiligo and associated disorders including autoimmune diseases: a prospective study of 200 Indian patients. Pigment Internatinal. 2015;2(2):91-6.

27. Kanani E, Issa A, Al-Ahmadi K. Evaluation of autoimmune biomarkers in vitiligo patients’ serum. J Population Ther Clin Pharmacol. 2023;30(2):283-90.

28. Kasumagic-Halilovic E, Ovcina-Kurtovic N, Jukic T, Karamehic J, Begovic B, Samardzic S. Vitiligo and autoimmunity. Med Arch. 2013;67(2):91.

Aprovação da versão final do manuscrito; Obtenção, análise e interpretação dos dados; Participação efetiva na orientação da pesquisa.

Dalia Hossam 0000-0001-9806-1714

Aprovação da versão final do manuscrito; Participação efetiva na orientação da pesquisa; Participação intelectual em conduta propedêutica e/ou terapêutica de casos estudados; Revisão crítica da literatura.

Ahmed Sadek 0000-0002-1603-2790

Aprovação da versão final do manuscrito; Participação efetiva na orientação da pesquisa; Participação intelectual em conduta propedêutica e/ou terapêutica de casos estudados; Revisão crítica da literatura.

Shaimaa Farouk 0000-0003-2415-2511

Análise estatística; Aprovação da versão final do manuscrito; Concepção e planejamento do estudo; Elaboração e redação do manuscrito; Obtenção, análise e interpretação dos dados; Participação efetiva na orientação da pesquisa; Participação intelectual em conduta propedêutica e/ou terapêutica de casos estudados; Revisão crítica da literatura; Revisão crítica do manuscrito.

www.surgicalcosmetic.org.br/

Intervalo de tempo entre o diagnóstico e otratamento do melanoma no Brasil: uma questão de geografia?

Diagnosis-to-treatment intervals for melanoma in Brazil: a matter of geography?

DOI: http://www.dx.doi.org/10.5935/scd1984-8773.2025170483

RESUMO

Introdução: O melanoma é um tipo de câncer de pele originado dos melanócitos, podendo acometer também as mucosas, as leptomeninges e o trato uveal. Embora menos prevalente que outros cânceres cutâneos, apresenta alta letalidade devido à sua agressividade, configurando um importante problema de saúde pública no Brasil.

Objetivo: O presente estudo teve como objetivo principal avaliar o tempo decorrido entre o diagnóstico e o início do tratamento de pacientes com melanoma em diferentes regiões do país no ano de 2024. Além disso, buscou-se identificar possíveis disparidades regionais nesse intervalo, bem como correlacionar com dados já existentes na literatura.

Métodos: Este estudo transversal analisou 4.405 casos de melanoma diagnosticados em 2024, com foco no tempo entre o diagnóstico e o início do tratamento, conforme dados do Sistema de Informação do Câncer, do Sistema de Informações Hospitalares e do Sistema de Informações Ambulatoriais do Sistema Único de Saúde (SUS). Avaliou-se o cumprimento do prazo legal máximo de 60 dias, estabelecido pela Lei nº 12.732/2012, nas cinco macrorregiões do país.

Resultados: Observou-se uma importante variação regional: a região Sul apresentou os melhores indicadores (34,25% dos pacientes tratados em até 30 dias), enquanto a região Norte teve o pior desempenho (22,41%). Destaca-se o elevado percentual de casos sem registro da data de início do tratamento (60,86% no Brasil; 68,10% no Norte), o que evidencia falhas nos sistemas de informação e, possivelmente, na efetivação do próprio tratamento. Além disso, a persistência de atrasos e as desigualdades regionais revelam deficiências estruturais na oferta de cuidados oncológicos.

Conclusões: Os resultados indicam a necessidade de fortalecer a regionalização da atenção, qualificar os registros e garantir o monitoramento dos prazos legais.

Palavras-chave: Melanoma; Diagnóstico; Brasil.

ABSTRACT

Introduction: Melanoma is a type of skin cancer originating from melanocytes which may also affect mucous membranes, leptomeninges, and the uveal tract. Although less prevalent than other skin cancers, it has high lethality due to its aggressiveness, making it a significant public health problem in Brazil.

Objective: The primary objective of this study was to assess the time elapsed between diagnosis and treatment initiation for patients with melanoma in different regions of the country in 2024. In addition, it sought to identify possible regional disparities in this interval, as well as to correlate this information with existing data in the literature.

Methods: This cross-sectional study analyzed 4,405 cases of melanoma diagnosed in 2024, focusing on the diagnosis-to-treatment interval based on data from the Brazilian public health information systems (SISCAN, SIH, and SIA). The study assessed compliance with the 60-day legal maximum waiting time established by Law No. 12.732/2012 across the country's five macroregions.

Results: Regional disparities were observed: the South Region had the best indicators (34.25% of cases treated within 30 days), while the North Region had the worst performance (22.41%). A high percentage of cases had no recorded treatment initiation dates (60.86% nationwide; 68.10% in the North), revealing weaknesses in health information systems and possibly in treatment delivery. Persistent delays and regional inequalities highlight structural deficiencies in the provision of oncology care.

Conclusion: The findings underscore the need to strengthen the regionalization of care, improve recordkeeping, and implement effective mechanisms to enforce legal time limits.

Keywords: Melanoma; Diagnosis; Brazil.

Artigo Original

Authors:

Isabela Karina Vilas Boas1

Maria Julia de Medeiros Pedroza1

Milena Dias da Silva1

Beatriz Bernaud Coelho1

Magda Blessmann Weber1

1 Universidade Federal de Ciências da Saúde de Porto Alegre, Medicina, Porto Alegre (RS), Brasil

Correspondência: Isabela Karina Vilas Boas E-mail: isabelak.vilasboas@gmail.com

Funding: None. Conflict of interest: None.

Submitted on: 06/22/2025

Final decision: 08/07/2025

How to cite this article: Vilas Boas IS, Pedroza MJM, Silva MD, Coelho BB, Weber MB. Intervalo de tempo entre o diagnóstico e o tratamento do melanoma no Brasil: uma questão de geografia? Surg Cosmet Dermatol. 2025;17:e20250483.

INTRODUÇÃO

O câncer de pele tipo melanoma é uma neoplasia maligna de pele caracterizada pelo surgimento nos melanócitos. A origem cutânea é a mais comum, mas também pode decorrer das mucosas, das leptomeninges e do interior do trato uveal do olho.¹ Embora menos frequente que os cânceres de pele não melanoma (carcinoma basocelular e carcinoma espinocelular), os quais apresentam os maiores números de incidência, segundo a Estimativa 2023 do Instituto Nacional de Câncer, o melanoma possui maior capacidade de invasão e metástase, além de taxas mais elevadas de mortalidade. No Brasil, ainda de acordo com a Estimativa 2023, ocorreram, em 2020, 1.923 óbitos por câncer de pele melanoma². Portanto, o diagnóstico precoce, aliado ao acesso rápido ao tratamento, é fundamental para estagnar o potencial de invasividade, garantindo melhor prognóstico aos pacientes e maior sucesso terapêutico.

Nos últimos anos, em virtude da difusão do conhecimento a respeito dos fatores de risco para o melanoma consagrados pela literatura científica, como a exposição solar sem proteção, a pele clara e o envelhecimento, e do incentivo aos fatores de proteção, exemplificados pelo uso de fotoprotetores, o exame dermatológico de rotina e campanhas públicas, o cenário em relação ao câncer de pele maligno apresentou aumento nas taxas de tratamento.² ³ Contudo, ao observar a linha temporal, nota-se que esse quadro já foi alarmante em relação aos índices de incidência, à taxa de mortalidade e, principalmente, ao intervalo diagnóstico-tratamento.³ O melanoma representa, portanto, um importante problema de saúde pública, especialmente em relação ao número de óbitos, que ocorre, em grande parte, devido ao atraso entre o diagnóstico e o tratamento (intervalo diagnóstico-tratamento superior a 30 dias).

Tendo em vista o impacto do aumento do intervalo diagnóstico-tratamento no prognóstico e, consequentemente, na mortalidade dos pacientes acometidos, os brasileiros têm, de acordo com a Lei nº 12.732/2012, o direito de iniciar o primeiro tratamento no Sistema Único de Saúde (SUS) em até 60 dias, contados a partir da data de emissão do laudo diagnóstico. A efetivação desse primeiro tratamento diz respeito à intervenção cirúrgica, radioterápica ou quimioterápica, conforme a necessidade do caso.⁴ Este estudo teve como objetivo principal avaliar otempo decorrido entre o diagnóstico e o início do tratamento de pacientes com melanoma em diferentes regiões do Brasil no ano de 2024. Além disso, buscou-se identificar possíveis disparidades regionais nesse intervalo, bem como correlacioná-las com dados já existentes na literatura.¹

MÉTODOS

Foi realizado um estudo transversal analítico com dados provenientes do Sistema de Informação Ambulatorial (SIA), do Sistema de Informação Hospitalar (SIH) e do Sistema de Informação do Câncer (SISCAN), disponibilizados pelo Departamento de Informação e Informática do Sistema Único de Saúde (DATASUS).³ A definição do caso foi realizada a partir da união

entre os dados do Cartão Nacional de Saúde e o Cadastro Internacional de Doenças (CID) relatado. A seleção dos casos ocorreu através do CID: “C43 – Melanoma maligno de pele.” Os casos referem-se ao período de janeiro a dezembro de 2024 e abrangem as cinco macrorregiões do Brasil. O intervalo, em dias, entre oexame diagnóstico e o primeiro tratamento foi estratificado em quatro categorias: 0 a 30 dias, 31 a 60 dias, mais de 60 dias e sem informação sobre o tratamento. Procedimentos cirúrgicos realizados antes do diagnóstico foram incluídos no intervalo de 0 a 30 dias. Os dados extraídos foram tabulados em planilhas do Excel para análise detalhada.³ Conforme a Resolução nº 510/2016 do Conselho Nacional de Saúde, estudos que utilizam dados de domínio público não requerem apreciação pelo Sistema de Comitês de Ética em Pesquisa.

RESULTADOS

No recorte específico da região Norte do Brasil, observou-se um total de 116 casos de melanoma maligno de pele registrados no ano de 2024 (Quadro 1). A análise do intervalo entre o diagnóstico e o início do tratamento revelou um cenário preocupante quanto à efetividade da linha de cuidado oncológica na região. Dos 116 casos, apenas 26 (22,41%) iniciaram o tratamento em até 30 dias após o diagnóstico, percentual inferior à média nacional de 32,10%.³ Esse dado é especialmente relevante considerando que o tratamento precoce está diretamente associado a melhores desfechos clínicos no melanoma, neoplasia reconhecida por sua elevada capacidade metastática.⁵ Além disso, apenas quatro pacientes (3,45%) foram tratados no intervalo de 31 a 60 dias, prazo ainda permitido pela legislação brasileira, conforme estabelecido pela Lei nº 12.732/2012. Em contrapartida, sete casos (6,03%) iniciaram o tratamento após mais de 60 dias do diagnóstico, configurando atraso severo, o que potencialmente compromete o prognóstico dos pacientes. O dado mais alarmante, entretanto, refere-se à ausência de informação sobre o início do tratamento em 79 casos (68,10%). Esse número representa mais de 2/3 dos registros da região Norte e supera a média nacional, que é de 60,86%.¹,⁴ Tal lacuna pode refletir tanto falhas no registro e monitoramento dos dados quanto a inexistência de efetivação do tratamento, revelando um possível colapso informacional e assistencial na região.⁶

Tabela 1: Tempo diagnóstico-tratamento da região Norte

Tempo diagnósticotratamento Casos

Até 30 dias

31-60 dias

Mais de 60 dias

Sem informação

Fonte: Adaptação de DATASUS, 2025

26 (22,41%)

4 (3,45%)

7 (6,03%)

79 (68,10%)

Vilas Boas IS, Pedroza MJM, Silva MD, Coelho BB, Weber MB.

Surg Cosmet Dermatol. 2025;v.17: n.3 jul-sep. p.315-22.

Tabela 2: Tempo diagnóstico-tratamento da região

Nordeste

Tempo diagnósticotratamento Casos

Até 30 dias

185 (32,34%)

31-60 dias 24 (4,20%)

Mais de 60 dias 45 (7,87%)

Sem informação 318 (55,59%)

Fonte: Adaptação de DATASUS, 2025

Na região Nordeste do Brasil, foram registrados 572 casos de melanoma maligno de pele em 2024, conforme dados extraídos das bases do DATASUS (Quadro 2). A análise do intervalo entre o diagnóstico e o início do tratamento revelou indicadores mais positivos em comparação à região Norte, mas que ainda evidenciam desafios relevantes no acesso e na efetividade do cuidado oncológico. Do total de casos, 185 pacientes (32,34%) iniciaram o tratamento em até 30 dias após o diagnóstico. Esse percentual está em conformidade com a média nacional (32,10%), indicando que aproximadamente 1/3 dos pacientes nordestinos recebeu tratamento no prazo considerado ideal pela literatura científica, que associa o tratamento precoce a uma maior sobrevida e a menores taxas de progressão do melanoma.⁷-⁹ Adicionalmente, 24 pacientes (4,20%) iniciaram o tratamento entre 31 e 60 dias. Esses casos, embora ultrapassem o tempo ideal, ainda estão dentro do limite legal previsto pela Lei nº 12.732/2012, que estabelece prazo máximo de 60 dias entre odiagnóstico e o início do tratamento no âmbito do SUS. Por outro lado, 45 pacientes (7,87%) iniciaram o tratamento somente após mais de 60 dias do diagnóstico, o que representa a maior proporção de atrasos severos entre todas as regiões analisadas até omomento. Esse dado é preocupante, pois sugere a existência de entraves estruturais que afetam diretamente a resolutividade e o tempo de resposta do sistema de saúde no enfrentamento do melanoma.⁶ Outro ponto que merece destaque é o elevado número de casos sem informação sobre o início do tratamento. Foram registrados 318 casos (55,59%) sem qualquer dado sobre a efetivação do tratamento, o que compromete a análise da linha de cuidado e a avaliação de políticas públicas. Apesar de inferior à média da região Norte, esse número ainda representa mais da metade dos registros da região Nordeste, apontando para possíveis fragilidades nos sistemas de registro, acompanhamento e monitoramento dos pacientes com melanoma.⁶, ⁷

Na região Centro-Oeste, foram registrados 238 casos de melanoma maligno de pele ao longo do ano de 2024, segundo dados provenientes dos sistemas de informação do DATASUS (Quadro 3). A distribuição dos casos, segundo o intervalo entre o diagnóstico e o início do tratamento, revela um cenário de atenção intermediária em comparação às demais regiões do Brasil, com predominância de registros sem informação sobre o início do tratamento. Do total, 71 pacientes (29,83%) iniciaram

Tabela 3: Tempo diagnóstico-tratamento da região

Centro-Oeste

Tempo diagnósticotratamento Casos

Até 30 dias 71 (29,83%)

31-60 dias 6 (2,52%)

Mais de 60 dias 14 (5,88%)

Sem informação 147 (61,76%)

Fonte: Adaptação de DATASUS, 2025

otratamento em até 30 dias após o diagnóstico, percentual ligeiramente inferior à média nacional (32,10%). Embora não represente um dos piores desempenhos regionais, esse percentual ainda indica que menos de 1/3 dos pacientes foi tratado dentro do intervalo ideal, segundo as boas práticas clínicas, que recomendam o início do tratamento o mais breve possível para aumentar as chances de controle da doença.⁷-⁹ Outros seis casos (2,52%) tiveram início do tratamento entre 31 e 60 dias, intervalo ainda permitido pela legislação vigente. Esse dado evidencia que a maioria dos pacientes que não inicia tratamento nos primeiros 30 dias tampouco o faz dentro do limite legal, o que pode indicar entraves mais prolongados no fluxo assistencial.⁴ Além disso, 14 pacientes (5,88%) iniciaram o tratamento após mais de 60 dias do diagnóstico, extrapolando o limite legal e configurando atraso crítico, com potenciais implicações negativas para o prognóstico clínico.10-13 Essa proporção é considerável e semelhante à de outras regiões com maiores dificuldades estruturais, como oNorte e o Nordeste. Contudo, o dado mais expressivo é o número de casos sem informação sobre o início do tratamento, que corresponde a 147 registros (61,76%). Esse percentual é superior à média nacional (60,86%) e o terceiro maior entre as regiões, ficando atrás apenas do Norte e do Sudeste. A ausência de tais informações compromete a análise da efetividade do cuidado e dificulta o monitoramento das políticas públicas de atenção ao câncer na região.

A região Sudeste concentrou o maior número absoluto de casos de melanoma maligno de pele no ano de 2024, com um total de 1.733 registros (Quadro 4). Esse volume expressivo representa uma proporção substancial da amostra nacional ana-

Tabela 4 - Tempo diagnóstico-tratamento da região

Tempo diagnósticotratamento Casos

Até 30 dias 534 (30,81%)

31-60 dias 37 (2,14%)

Mais de 60 dias 71 (4,10%)

Sem informação 1.091 (62,95%)

Fonte: Adaptação de DATASUS, 2025

Vilas Boas IS, Pedroza MJM, Silva MD, Coelho BB, Weber MB.

lisada e reflete a densidade populacional da região, bem como a maior capilaridade dos sistemas de notificação. Em relação ao intervalo entre o diagnóstico e o início do tratamento, 534 pacientes (30,81%) iniciaram o tratamento em até 30 dias. Esse índice, embora ligeiramente inferior à média nacional (32,10%), demonstra uma capacidade relativamente eficiente de resposta nos casos que recebem tratamento. No entanto, considerando o volume total de pacientes, essa porcentagem representa menos de 1/3 que iniciou a terapêutica no tempo ideal, revelando que a celeridade não é universal, mesmo em regiões com maior oferta de serviços. Apenas 37 casos (2,14%) tiveram início do tratamento entre 31 e 60 dias, percentual consideravelmente inferior ao observado em outras regiões. Essa baixa proporção sugere que, na prática, os casos que não são tratados rapidamente tendem a exceder o prazo legal, ou sequer chegam a ser registrados como tratados. Em complemento, 71 pacientes (4,10%) começaram o tratamento após mais de 60 dias, ultrapassando o limite estipulado legalmente. Embora essa proporção esteja dentro de uma faixa comparável à de outras regiões do Brasil, o número absoluto é significativo devido à elevada carga de casos concentrada no Sudeste. O dado mais preocupante, contudo, refere-se a 1.091 registros (62,95%) sem qualquer informação sobre o início do tratamento. Esse valor equivale a quase 2/3 de todos os casos da região, superando a média nacional (60,86%) e evidenciando sérios problemas de rastreabilidade assistencial.¹⁴ A magnitude desse número em uma das regiões mais estruturadas do país sugere que a ausência de dados pode estar associada tanto a falhas nos sistemas de informação quanto a lacunas reais no acesso ou continuidade do tratamento.¹⁴,¹⁵

A região Sul registrou 1.746 casos de melanoma maligno de pele no ano de 2024, configurando-se como a segunda maior em volume absoluto de casos entre as cinco macrorregiões do país (Quadro 5). A análise do intervalo entre o diagnóstico e o início do tratamento revela um desempenho ligeiramente mais eficiente em relação à média nacional, com destaque para a proporção de tratamentos iniciados no período ideal. Dos casos registrados, 598 pacientes (34,25%) iniciaram o tratamento em até 30 dias após o diagnóstico. Esse percentual é o mais elevado entre todas as regiões, superando, inclusive, a média nacional (32,10%). Tal dado sugere que, na região Sul, uma parcela maior

Tabela 5 - Tempo diagnóstico-tratamento da região Sul

Tempo diagnósticotratamento Casos

Até 30 dias

31-60 dias

Mais de 60 dias

598 (34,25%)

34 (1,95%)

68 (3,89%)

Sem informação 1.046 (59,91%)

Fonte: Adaptação de DATASUS, 2025

dos pacientes tem conseguido acesso rápido ao tratamento, o que pode refletir melhor organização da rede assistencial e maior capilaridade dos serviços especializados.¹⁶ Dentro do intervalo entre 31 e 60 dias, foram contabilizados 34 casos (1,95%), o menor percentual entre todas as regiões. Embora ainda dentro do limite estabelecido pela Lei nº 12.732/2012, o número reduzido de casos nesse intervalo pode indicar uma tendência à polarização: ou os pacientes são atendidos rapidamente ou enfrentam atrasos mais severos.³ ⁴ A proporção de pacientes que iniciaram otratamento após mais de 60 dias foi de 3,89% (68 casos), valor comparável ao observado em outras regiões, como o Sudeste (4,10%). Apesar de estar dentro de um patamar semelhante, esse indicador ainda revela que uma fração significativa de pacientes está fora do prazo legal, o que pode comprometer diretamente os desfechos clínicos do melanoma, neoplasia de elevada letalidade quando tratada tardiamente.⁴ ¹⁰ ¹³ Por fim, 1.046 casos (59,91%) não apresentaram qualquer informação sobre o início do tratamento, valor próximo à média nacional (60,86%). Apesar de representar o menor percentual entre todas as regiões analisadas, essa lacuna ainda é substancial e impede uma avaliação completa da efetividade da rede assistencial. A ausência de informação pode decorrer tanto de falhas no registro quanto da inexistência de início efetivo do tratamento.

DISCUSSÃO

Desigualdade regional no acesso ao tratamento Os dados obtidos evidenciam uma marcante desigualdade regional no acesso ao tratamento de pacientes diagnosticados com melanoma maligno de pele no Brasil. Ao analisar o percentual de pacientes que iniciaram o tratamento em até 30 dias após o diagnóstico – considerado o intervalo ideal para melhores desfechos clínicos –, observam-se variações expressivas entre as macrorregiões do país.³ A região Sul apresentou o melhor desempenho, com 34,25% dos casos tratados dentro do prazo ideal, seguida do Nordeste (32,34%), Sudeste (30,81%), Centro-Oeste (29,83%) e, por último, da região Norte (22,41%), a mais crítica nesse aspecto (Figura 1). Esses dados revelam que, enquanto algumas regiões conseguem manter índices próximos ou superiores à média nacional (32,10%), outras, como o Norte, enfrentam dificuldades sistemáticas para garantir o início oportuno da terapia, mesmo diante de uma legislação que assegura esse direito. Essa assimetria pode ser interpretada à luz das desigualdades históricas e estruturais entre as regiões brasileiras.

A distribuição geográfica de serviços especializados, como centros de oncologia e dermatologia, é nitidamente concentrada nas regiões Sul e Sudeste, que concentram maior número de hospitais de alta complexidade, profissionais especializados e infraestrutura logística. Por outro lado, a região Norte enfrenta desafios relacionados à escassez de profissionais, às grandes distâncias geográficas, às limitações de transporte e à baixa densidade hospitalar especializada, o que compromete diretamente o fluxo diagnóstico-terapêutico dos pacientes oncológicos.⁴, ⁶ ,¹⁶ A literatura reforça esse cenário. No estudo de Oliveira et al., de 2020, os autores

Surg Cosmet Dermatol. 2025;v.17: n.3 jul-sep. p.315-22.

demonstraram que regiões com menor desenvolvimento humano apresentam maior proporção de diagnósticos em estadiamento avançado, resultado diretamente associado à escassez de serviços especializados e à baixa resolutividade da atenção primária à saúde. Essa constatação dialoga diretamente com os achados da região Norte, onde apenas 22,41% dos casos iniciaram o tratamento em até 30 dias, e cerca de 68,00% sequer possuíam registro sobre o início do tratamento. A precariedade da rede de atenção oncológica na região não se traduz apenas em acesso limitado, mas também em incapacidade de registrar, monitorar e garantir a continuidade do cuidado. Complementarmente, a tese de Oliveira et al. amplia esse olhar ao evidenciar que as desigualdades socioeconômicas e a má distribuição territorial dos recursos em saúde refletem-se não apenas nos indicadores de mortalidade por câncer, mas também nas condições em que os pacientes acessam o sistema – muitas vezes já em fases avançadas da doença e sem perspectiva clara de encaminhamento terapêutico ágil.⁶ Esse cenário é reforçado por nossos achados nas regiões Nordeste e Centro-Oeste, onde as proporções de atraso superior a 60 dias, embora variáveis, coexistem com altos índices de registros incompletos ou ausentes, o que dificulta a implementação de ações de planejamento baseadas em evidências.³

A crítica central que emerge desses dados e das análises teóricas é a fragilidade do princípio da equidade, um dos pilares do SUS. Embora concebido como um sistema universal e igualitário, na prática, o SUS opera de forma altamente desigual, penalizando populações de territórios periféricos e mais vulneráveis. A combinação de obstáculos físicos, logísticos e institucionais gera um efeito cumulativo que retarda o

Figura 1: Comparação regional do tempo diagnóstico-tratamento

diagnóstico, dificulta o acesso ao tratamento e, em última instância, compromete a sobrevida de pacientes com melanoma e outros tipos de câncer.¹¹,¹⁷ Portanto, os resultados deste estudo reafirmam a existência de um padrão de desigualdade regional profundamente enraizado, que compromete a equidade no acesso ao cuidado oncológico.⁶, ⁷ ,¹⁷ Embora o melanoma seja menos incidente que outros tipos de câncer de pele, seu potencial de invasividade e mortalidade torna ainda mais urgente a atenção às barreiras regionais que atrasam o tratamento.⁷ ¹⁰ O enfrentamento dessas disparidades deve considerar a regionalização efetiva da oncologia, o reforço da infraestrutura em áreas remotas e a melhoria no planejamento territorial do SUS, visando garantir acesso oportuno e integral à saúde para todos os brasileiros.

Alto índice de ausência de informação sobre o tratamento

Um dos achados mais preocupantes deste estudo é o elevado número de casos de melanoma registrados sem qualquer informação sobre o início do tratamento.³ A média nacional, de 60,86% dos registros sem dados relativos ao início terapêutico, é alarmante e compromete não apenas o cuidado clínico individual, mas também a formulação, a avaliação e a fiscalização das políticas públicas de saúde oncológica no Brasil. Essa ausência de informação atinge todas as regiões, com destaque para a região Norte, onde 68,10% dos casos não possuem registro de tratamento iniciado, e para o Sudeste, que concentra o maior número absoluto de casos, onde esse índice alcança 62,95%. Mesmo a região Sul, que apresentou o melhor desempenho em termos de agilidade no início terapêutico, registrou 59,91% de informações

Vilas Boas IS, Pedroza MJM, Silva MD, Coelho BB, Weber MB.

incompletas. Tais percentuais evidenciam que o problema transcende as desigualdades regionais e aponta para uma fragilidade sistêmica nos processos de registro, notificação e monitoramento das ações terapêuticas.¹⁸ É necessário, portanto, refletir se essa ausência de informação decorre de uma falha meramente administrativa – como onão preenchimento de campos obrigatórios nos sistemas SISCAN, SIH ou SIA – ou se revela uma realidade ainda mais grave: a inexistência efetiva de início de tratamento para uma parcela expressiva dos pacientes.⁶, ¹⁶ ,¹⁸ Ambas as hipóteses são preocupantes. No primeiro caso, a falha compromete a confiabilidade dos sistemas nacionais de vigilância em saúde e impede a correta avaliação da efetividade da Lei nº 12.732/2012, que determina o início do tratamento do câncer em até 60 dias após o diagnóstico.⁴ No segundo caso, implica negligência do próprio direito à saúde, configurando violação legal e ética de grande magnitude. A invisibilidade desses dados é ainda mais impactante em contextos de maior vulnerabilidade social e geográfica. Pacientes residentes em regiões afastadas dos centros urbanos, com baixa escolaridade e menor acesso à informação e à justiça, tendem a ser os mais afetados por essa negligência documental e assistencial. Como discutido por Oliveira et al. em 2020, essa invisibilização estatística não é neutra: funciona como um instrumento de exclusão ao apagar realidades que exigiriam ações estatais urgentes.⁶

A ausência de dados produz uma falsa ideia de controle e eficácia, mascarando desigualdades e perpetuando a inação institucional. Ademais, a falta de registro de informações sobre otratamento afeta diretamente a capacidade de planejamento e avaliação dos gestores públicos. Sem dados precisos, torna-se inviável mensurar a efetividade da política nacional de controle do câncer, identificar gargalos logísticos, priorizar investimentos e articular redes de atenção que garantam a integralidade e a continuidade do cuidado.¹⁸ Portanto, enfrentar essa lacuna não deve ser entendido apenas como uma questão técnica de melhoria dos sistemas de informação, mas como uma estratégia essencial de equidade e justiça sanitária. A qualificação dos registros, a integração entre os sistemas, a formação continuada dos profissionais responsáveis pelas notificações e o uso de tecnologias para automatizar e cruzar dados são caminhos possíveis para tornar o SUS mais transparente, responsivo e comprometido com a vida de seus usuários.¹⁴ ¹⁷

Atrasos além do permitido por lei

A Lei nº 12.732/2012, sancionada com o intuito de garantir que pacientes diagnosticados com câncer iniciem o tratamento no prazo máximo de 60 dias, representa um marco normativo importante na luta pelo acesso equitativo à atenção oncológica no Brasil.⁴ No entanto, os dados revelados neste estudo mostram que, apesar da existência dessa legislação, ainda há uma proporção significativa de pacientes que não têm esse direito efetivado.3,6 Em 2024, entre 4,10% (Sudeste) e 7,87% (Nordeste) dos casos registrados iniciaram o tratamento após mais

de 60 dias do diagnóstico, ultrapassando o limite legal. Embora esses percentuais possam parecer modestos à primeira vista, são expressivos dentro do universo de pacientes acometidos por melanoma maligno, subtipo agressivo do câncer de pele, caracterizado por elevada capacidade metastática e rápida progressão.1,11 Nesses casos, o início tardio do tratamento pode representar a diferença entre um prognóstico favorável e uma evolução letal da doença.7,10,13 A persistência desses atrasos levanta questionamentos sérios sobre a eficácia prática da legislação vigente.4

A ausência de mecanismos de fiscalização sistemática, penalidades institucionais e monitoramento em tempo real faz com que, na prática, a lei dependa mais da capacidade organizacional dos serviços de saúde e menos de sua obrigatoriedade legal.17,18 Essa fragilidade permite que o descumprimento da norma ocorra de forma generalizada e sem consequências formais para os gestores ou instituições envolvidas. Além disso, a fragmentação da rede de atenção oncológica, os vazios assistenciais em determinadas regiões e a desarticulação entre os níveis de atenção primária, especializada e hospitalar dificultam o cumprimento do prazo legal, especialmente em contextos nos quais a centralização de serviços obriga os pacientes a longos deslocamentos ou a filas de espera prolongadas. A região Nordeste, por exemplo, onde se observou o maior percentual de atrasos legais (7,87%), enfrenta uma combinação de fatores estruturais, socioeconômicos e geográficos que impactam negativamente a operacionalização da lei.16,17

É importante destacar que o melanoma, por sua natureza biológica, exige resposta terapêutica imediata. Estudos já demonstraram que atrasos superiores a 8 semanas no início do tratamento estão associados ao aumento da mortalidade e à ocorrência de metástases, principalmente em melanomas espessos ou ulcerados.11,14 Nesse sentido, os casos que ultrapassam 60 dias podem representar perdas irreversíveis de oportunidade terapêutica. A análise crítica dos dados, portanto, indica que a existência da lei, por si só, não tem sido suficiente para garantir o acesso oportuno ao tratamento. Sem um sistema robusto de vigilância, responsabilização e gestão ativa dos fluxos de atendimento, a norma corre o risco de tornar-se letra morta.18 É fundamental que o Estado assuma papel mais proativo na garantia desse direito, investindo na ampliação da oferta de serviços oncológicos, especialmente nas regiões mais vulneráveis, e promovendo sistemas integrados que permitam acompanhar, em tempo real, o intervalo entre o diagnóstico e o início do tratamento.

Implicações para a prática e saúde pública

Os achados deste estudo trazem à tona implicações relevantes para a prática clínica, o planejamento em saúde e a formulação de políticas públicas, especialmente no âmbito do SUS. A análise do intervalo entre o diagnóstico e o início do tratamento do melanoma revelou não apenas desigualdades regionais marcantes, mas também fragilidades sistêmicas nos mecanismos de regulação, monitoramento e garantia de acesso ao cuidado oncológico no Brasil.6,16,17 O elevado percentual de pacientes

sem informação sobre o tratamento – que ultrapassa 60% em quase todas as regiões – deve ser compreendido como um alerta de ineficiência institucional. Essa invisibilidade estatística não apenas distorce a realidade do cuidado prestado, como também impede a tomada de decisão baseada em evidências.

A ausência de dados confiáveis compromete o planejamento territorial da rede oncológica, a alocação de recursos, a análise da efetividade das políticas vigentes e a priorização de investimentos em regiões mais vulneráveis.18 Nesse contexto, os dados apontam para a necessidade urgente de intervenções direcionadas, com prioridade para regiões como o Norte e o Centro-Oeste, onde os índices de tratamento dentro do prazo legal são os mais baixos e de registros incompletos, os mais altos. Essas regiões devem ser foco de políticas públicas que combinem a expansão da capacidade instalada, a formação e fixação de profissionais, o fortalecimento da atenção primária e a melhoria dos sistemas de informação em saúde, como o SISCAN.16,17 Além disso, os resultados reforçam a importância de regionalizar ocuidado oncológico de forma equitativa, promovendo o acesso aos serviços especializados fora dos grandes centros urbanos. Estratégias como a teledermatologia, os centros itinerantes de diagnóstico precoce e as linhas de cuidado integradas podem ser alternativas eficazes para reduzir os atrasos, especialmente em áreas remotas. A prática clínica também deve ser reavaliada à luz desses dados. Profissionais da atenção básica e especializada precisam estar capacitados não apenas para o diagnóstico precoce do melanoma, mas também para garantir o encaminhamento imediato e o registro adequado das etapas do tratamento.

O fortalecimento da articulação entre a atenção primária, a média e a alta complexidade é essencial para assegurar a continuidade e a integralidade do cuidado, princípios fundamentais do SUS.17 Por fim, os achados deste estudo evidenciam a necessidade de revisar as estratégias de implementação da Lei nº 12.732/2012, especialmente no que se refere à criação de sistemas de acompanhamento ativo e à responsabilização institucional. O monitoramento do cumprimento dos prazos legais deve ser uma tarefa central dos gestores de saúde, e não uma atribuição periférica.4 Assim, este estudo contribui para a reflexão sobre o melanoma como marcador da capacidade de resposta do sistema de saúde brasileiro e reforça a urgência de políticas públicas mais robustas, regionalmente sensíveis e orientadas por dados confiáveis, com vistas à equidade no acesso e à efetividade terapêutica.

Limitações do estudo

Este estudo apresenta algumas limitações importantes, especialmente no que se refere à fonte e à natureza dos dados utilizados. A análise foi baseada em registros secundários, provenientes dos sistemas de informação pública do SUS (SISCAN, SIH e SIA), os quais, embora amplamente utilizados em pesquisas em saúde, são suscetíveis a inconsistências, subnotificações e atrasos no preenchimento. Isso se reflete, por exemplo, no alto índice de casos sem informação sobre o início do tratamento, dificultando

a avaliação precisa da efetividade das políticas públicas. Outra limitação relevante é a ausência de dados sobre o estadiamento tumoral no momento do diagnóstico, o que impede a análise do tempo diagnóstico-tratamento em função da gravidade clínica da doença. Esse fator é particularmente importante no caso do melanoma, cuja agressividade varia de acordo com a profundidade e a extensão da lesão. A falta dessa informação reduz a capacidade do estudo de correlacionar atrasos terapêuticos com desfechos clínicos objetivos. Adicionalmente, alguns dados utilizados para o preenchimento dos sistemas de informação podem ser autodeclarados ou inseridos de maneira não padronizada por diferentes unidades de saúde, o que compromete a uniformidade e a comparabilidade entre regiões. Isso exige cautela na interpretação dos resultados e reforça a necessidade de qualificação dos registros em saúde.6,16,18

Sugestões para estudos futuros

Com base nas limitações encontradas e nos achados obtidos, futuras pesquisas podem aprofundar a compreensão sobre os efeitos dos atrasos no tratamento do melanoma, especialmente no que se refere ao impacto do diagnóstico e do início terapêutico tardio sobre a sobrevida e a progressão da doença. Estudos longitudinais que acompanhem os pacientes ao longo do tempo seriam particularmente úteis para identificar perfis de maior risco e avaliar a efetividade das intervenções.17 Além disso, recomenda-se a incorporação de análises qualitativas que considerem a perspectiva dos pacientes e profissionais de saúde envolvidos no cuidado oncológico. Investigar experiências vividas, barreiras percebidas e estratégias de enfrentamento pode revelar dimensões subjetivas e contextuais que os dados quantitativos não captam, enriquecendo a compreensão dos fenômenos observados.6 Por fim, futuros trabalhos podem também explorar modelos preditivos baseados em dados territoriais e socioeconômicos, a fim de identificar áreas prioritárias para intervenção, bem como avaliar o impacto de programas e políticas públicas locais que visem à melhoria da linha de cuidado do melanoma no Brasil.16,18

CONCLUSÃO

Os resultados deste estudo reafirmam a existência de desigualdades regionais significativas e fragilidades estruturais no acesso e no cuidado oncológico no Brasil, particularmente no tratamento do melanoma maligno de pele. A análise do tempo entre diagnóstico e início do tratamento evidenciou não apenas atrasos frequentes e descumprimento da legislação vigente, mas também um preocupante vazio de informações nos sistemas de registro nacionais, situação que compromete a efetividade das políticas públicas e a própria governança sanitária. A desigualdade de acesso, marcada por disparidades geográficas, socioeconômicas e estruturais, penaliza de maneira sistemática as populações residentes em regiões mais vulneráveis, como o Norte e o Centro-Oeste, perpetuando um cenário de iniquidade em saúde. Além disso, o elevado percentual de registros sem informação sobre o tratamento representa não apenas uma falha adminis-

Vilas Boas IS, Pedroza MJM, Silva MD, Coelho BB, Weber MB.

trativa, mas também um indicador de invisibilidade assistencial, especialmente em territórios historicamente negligenciados.

A persistência de atrasos superiores ao prazo legal estabelecido pela Lei nº 12.732/2012 evidencia a necessidade de revisão dos mecanismos de implementação, monitoramento e responsabilização institucional, uma vez que a existência de legislação, por si só, não tem garantido o direito efetivo ao tratamento oportuno. Diante desse cenário, é imprescindível que o SUS avance no sentido de qualificar seus sistemas de informação, regionalizar de forma equitativa a oferta de serviços oncológicos e integrar de maneira mais eficiente os diferentes níveis de

atenção. Estratégias como o fortalecimento da atenção primária, a ampliação de centros de diagnóstico e tratamento em áreas remotas e o uso de tecnologias como a telemedicina podem contribuir para a superação dessas barreiras. Por fim, este estudo reforça a importância de políticas públicas orientadas por dados de qualidade e sensíveis às especificidades regionais e sociais do país. O melanoma, pela sua agressividade e rápida progressão, torna-se um marcador relevante da capacidade de resposta do sistema de saúde, e o enfrentamento das desigualdades aqui evidenciadas é fundamental para assegurar o direito universal à saúde e a integralidade do cuidado oncológico no Brasil. l

REFERÊNCIAS:

1. Garbe C; Becker JC. Melanoma. In: Bolognia JL; Jorizzo JL; Schaffer JV. (Ed.). Dermatologia. Tradução de Adriana de Carvalho Corrêa et al.; coordenação da edição brasileira Célia Luiza Petersen Vitello Kalil. 3. ed. Rio de Janeiro: Elsevier; 2015. p.1883–910.

2. Instituto Nacional de Câncer José Alencar Gomes da Silva (INCA). Estimativa 2023: incidência de câncer no Brasil [recurso eletrônico]. Rio de Janeiro: INCA; 2022. Disponível em: https://www.inca.gov.br/publicacoes/livros/estimativa-2023-incidencia-de-cancer-no-brasil. Acesso em: 1 maio 2025.

3. Brasil. Ministério da Saúde. DATASUS. Tabnet. Brasília, DF: Ministério da Saúde; 2022. Disponível em: https://datasus.saude.gov.br/informacoes-de-saude-tabnet/. Acesso em: 3 ago. 2022.

4. Brasil. Lei nº 12.732, de 22 de novembro de 2012. Dispõe sobre o primeiro tratamento de paciente com neoplasia maligna comprovada e estabelece prazo para seu início. Diário Oficial da União: seção 1, Brasília, DF, 23 nov. 2012. Disponível em: https://www.planalto.gov.br/ccivil_03/_ato2011-2014/2012/lei/l12732.htm. Acesso em: 1 maio 2025.

5. Santos CAD; Souza DLB. Melanoma mortality in Brazil: trends and projections (1998-2032). Ciência & Saúde Coletiva. 2019;24(4):1551–61.

6. Oliveira MM; Andrade SSCA; Oliveira PP; Silva GA; Malta DC. Desigualdades sociais no diagnóstico do câncer do colo do útero no Brasil: um estudo de base hospitalar. Ciência & Saúde Coletiva. 2020;25(3):1003–14.

7. Conic RZ, Cabrera CI, Khorana AA, Gastman BR. Determination of the impact of melanoma surgical timing on survival using the National Cancer Database. J Am Acad Dermatol. 2018;78(1):40-6.

8. Davis LE, Shalin SC, Tackett AJ. Current state of melanoma diagnosis and treatment. Cancer Biol Ther. 2019;20(11):1366–79.

CONTRIBUIÇÃO DOS AUTORES:

Isabela Karina Vilas Boas 0009-0007-9895-4687

9. Dixon AJ, Sladden M, Zouboulis CC, et al. Primary cutaneous melanoma – management in 2024. J Clin Med. 2024;13(6):1607.

10. Xiong DD, Barriera-silvestrini P, Knackstedt TJ. Delays in the surgical treatment of melanoma are associated with worsened overall and melanoma- specific mortality: a population-based analysis. J Am Acad Dermatol. 2022;87(4):807-14.

11. Zhang MZ, Hines AS, Demer AM, Brewer JD. The impact of surgical delay in primary cutaneous melanoma: a systematic review. Dermatol Surg. 2024;50(6):501-6.

12. Stålhammar G. Delays between uveal melanoma diagnosis and treatment increase the risk of metastatic death. Ophthalmology. 2024;131(9):1094-104.

13. Conic RZ, Cabrera CI, Khorana AA, Gastman BR. Determination of the impact of melanoma surgical timing on survival using the National Cancer Database. J Am Acad Dermatol. 2018;78(1):40-6.

14. Pereira Shimada GD, Mota AA, Souza MC, Bernardes SS. Time-to-treatment initiation for cutaneous melanoma reflects disparities in healthcare access in Brazil: a retrospective study. Public Health. 2022;210:1-7.

15. Johansson M, Brodersen J, Gøtzsche PC, Jørgensen KJ. Screening for reducing morbidity and mortality in malignant melanoma. Cochrane Database Syst Rev. 2019;6(6):CD012352.

16. Puntel L. Acesso universal à saúde: um comparativo entre as cinco grandes regiões brasileiras. 2019. 56 f. Trabalho de Conclusão de Curso (Graduação em Ciências Econômicas) – Universidade Federal do Rio Grande do Sul, Porto Alegre, 2019. Disponível em: https://lume.ufrgs.br/handle/10183/201826. Acesso em: 2 maio 2025.

17. Campos, GWS. Reflexões temáticas sobre eqüidade e saúde: o caso do SUS. Saúde e Sociedade. 2006;15(2):23-33.

18. Teixeira SV, Pimentel TRO, Costa NR. Sistema de vigilância em saúde no brasil: avanços e desafios. Saúde em Debate. 2015;39(104):255-67.

Elaboração e redação do manuscrito; obtenção, análise e interpretação dos dados; participação intelectual em conduta propedêutica e/ou terapêutica de casos estudados; revisão crítica da literatura.

Maria Julia de Medeiros Pedroza 0009-0009-6410-3870

Elaboração e redação do manuscrito; obtenção, análise e interpretação dos dados; participação intelectual em conduta propedêutica e/ou terapêutica de casos estudados.

Milena Dias da Silva 0009-0006-4147-1644

Obtenção, análise e interpretação dos dados.

Beatriz Bernaud Coelho 0009-0004-2604-7672

Elaboração e redação do manuscrito.

Magda Blessmann Weber 0000-0001-5885-5851

Participação efetiva na orientação da pesquisa.

www.surgicalcosmetic.org.br/

Gel

de adapaleno (0,3%)/peróxido de benzoíla

(2,5%) para acne da mulher adulta: uma série de casos reais da América Latina

Adapalene (0.3%)/benzoyl peroxide gel (2.5%) for adult female acne: a real-world case series from Latin America

DOI: http://www.dx.doi.org/10.5935/scd1984-8773.2025170456

Palavras-chave: Peróxido de Benzoíla; Adapaleno; Acne Vulgar

Keywords: Benzoyl Peroxide; Adapalene; Acne Vulgaris

Ao Editor:

A acne da mulher adulta (AMA) é uma condição comum que afeta mulheres de mais de 25 anos, com curso crônico e recidivante.1 Esse transtorno multifatorial está associado a desequilíbrios hormonais (por exemplo, síndrome dos ovários policísticos), estresse psicológico, genética e fatores de estilo de vida, que contribuem coletivamente para a sua complexidade e para a dificuldade do seu manejo.1,2 A população latino-americana tem características diversas, influenciadas por demografia, raça/etnia e expossoma.3 No Brasil, estima-se que a prevalência populacional da AMA seja de 41%.4

Ensaios controlados sobre o tratamento da AMA são raros, mas as principais opções terapêuticas normalmente incluem retinoides topicais, agentes antimicrobianos, contraceptivos orais combinados e espironolactona.5-9

Carta ao Editor

Autores:

Marco Alexandre Rocha1

Leonel Fierro-Arias2

Patricia Troielli3

Anália Viana4

Hélio Amante Miot5

1 Universidade Federal de São Paulo (UNIFESP), Dermatologia, São Paulo (SP), Brasil

2 Hospital General de Mexico, Dermatologia, Ciudad del Mexico, México

3 Universidad de Buenos Aires, Faculdade de Medicina, Buenos Aires (BA), Argentina

4 Galderma, Assuntos Médicos, São Paulo (SP), Brasil

5 Universidade Federal de São Paulo (UNIFESP), Dermatologia, Botucatu (SP), Brasil

Correspondøencia:

Marco Alexandre Rocha E-mail: marcoderm@hotmail.com / heliomiot@gmail.com

Fonte de financiamento: A Galderma Brasil Ltda financiou a assistência em redação médica e a Taxa de Publicação do Artigo.

Agradecimentos: Às pacientes que permitiram a publicação de suas fotos anonimizadas.

Conflito de interesses: MAR recebeu honorários por aulas e/ou participação em conselhos consultivos da Pierre-Fabre, FQM, Galderma, L'Oréal, Naos Group, Kenvue / J&J, Hypera e Dove-Unilever. HAM recebeu honorários por aulas e participação em conselhos consultivos da Merz, Abbvie, Galderma, Kenvue, Pierre-Fabre, Pfizer, Eucerin / Beiersdorf e L'Oréal. PT recebeu honorários por aulas e/ou participação em conselhos consultivos da Galderma; L'Oréal, La Roche-Posay e Eucerin / Beiersdorf. LF recebeu honorários por aulas e/ou participação em conselhos consultivos da Galderma, Pierre-Fabre, Eucerin / Beiersdorf, NAOS / Bioderma e ISDIN. AV é funcionária do Departamento de Assuntos Médicos da Galderma Brasil.

Data de submissão: 25/03/2025 Decisão final: 05/08/2025

Como citar este artigo: Rocha MA, Fierro-Arias L, Troielli P, Viana A, Miot HA. Gel de adapaleno (0,3%)/peróxido de benzoíla (2,5%) para acne da mulher adulta: uma série de casos reais da América Latina. Surg Cosmet Dermatol. 2025;17:e20250456.

Rocha MA, Fierro-Arias L, Troielli P, Viana A, Miot HA

O reconhecimento precoce e o tratamento adequado da AMA são cruciais para minimizar complicações como cicatrizes e hiperpigmentação, assim como para reduzir o seu impacto na qualidade de vida. Atualmente, o manejo da AMA deve ser personalizado de acordo com as características individuais, mitigando os fatores desencadeantes e tratando os principais mecanismos fisiopatológicos, incluindo inflamação, comedogênese, sebogênese e anormalidades do microbioma cutâneo.2,9,10

Nesta série de casos retrospectivos, apresentamos seis casos de AMA em 3 países latino-americanos (Brasil, Colômbia e Argentina) tratados com uma combinação de gel de adapaleno 0,3%/peróxido de benzoíla 2,5% (A0,3/BPO2,5) e outras terapias. A principal justificativa para escolher esses casos foi refletir a diversidade de gravidade da doença e as diferentes combinações de tratamento aplicáveis na prática da vida real. Estes foram casos consecutivos tratados na prática dos autores entre agosto e setembro de 2023, e todas as pacientes forneceram consentimento informado por escrito para a publicação das suas fotografias e dados clínicos. O estudo foi aprovado pelo Comitê de Ética em Pesquisa da instituição (número 7.082.589).

As características das pacientes, tratamentos e desfechos estão apresentados na tabela 1 e figura 1.

No primeiro caso, a inflamação acentuada, caracterizada por pústulas e nódulos, exigiu um regime de antibióticos orais associados a espironolactona e A0,3/BPO2,5 tópico. Após quatro meses de tratamento, foram observados apenas eritema discreto e cicatrizes residuais de acne.

O segundo caso apresentava-se principalmente com pápulas e comedões. A paciente foi tratada com A0,3/BPO2,5 por três meses, resultando em uma redução substancial das lesões, embora algumas cicatrizes tenham permanecido.

No terceiro caso, eram evidentes pápulas, pústulas e pigmentação cutânea. Após três meses de tratamento com espironolactona oral e A0,3/BPO2,5, houve uma eliminação quase completa das lesões, resolução total da pigmentação e melhoria da qualidade global da pele.

Após seis meses de tratamento com contraceptivo oral combinado com acetato de ciproterona e A0,3/BPO2,5, o quarto caso apresentou resolução completa das lesões de acne e melhoria significativa da qualidade global da pele.

No quinto caso, pápulas inflamatórias, comedões e nódulos apresentaram redução total após seis meses de tratamento com espironolactona oral e A0,3/BPO2,5.

Tabela 1: Características clínico-demográficas e evolução dos casos relatados

Caso Idade (anos) Fototipo

1 34 III

2 25 II

3 29 III

4 32 IV

Intervenções ativas para acne Fator predisponente

Limeciclina 300 mg/d por 60 dias, espironolactona 100 m/d, gel de adapaleno 0,3% / peróxido de benzoíla 2,5%

Gel de adapaleno 0,3% / peróxido de benzoíla 2,5%

Espironolactona 50 mg/d, gel de adapaleno 0,3% / peróxido de benzoíla 2,5%

Contraceptivo oral combinado com acetato de ciproterona, gel de adapaleno 0,3% / peróxido de benzoíla 2,5%

5 22 III

6 31 I

final / tempo

Dispositivo intrauterino com progestágeno 4 1 / 4 meses

Cessação de contraceptivo oral

1 / 3 meses

SOP e suplementação de vitamina B12 3 1 / 3 meses

Espironolactona 100 mg/d, gel de adapaleno 0,3% / peróxido de benzoíla 2,5% Nenhum

Espironolactona 100 mg/d, gel de adapaleno 0,3% / peróxido de benzoíla 2,5%

0 / 6 meses

0 / 6 meses

Histórico familiar de acne 2 0 / 3 meses

IGA: Avaliação Global do Investigador (para gravidade da acne); SOP: síndrome dos ovários policísticos

Figura 1: Evolução clínica de cinco casos de acne da mulher adulta.

Caso 1: pré-tratamento A e após 4 meses B.

Caso 2: pré-tratamento C - e após 3 meses D.

Caso 3: pré-tratamento E e após 3 meses F.

Caso 4: pré-tratamento G e após 6 meses H. Caso 5: pré-tratamento I e após 6 meses J.

Caso 6: pré-tratamento K e após 3 meses L

No último caso, a AMA papular leve foi tratada com sucesso com a associação de espironolactona oral e A0,3/BPO2,5, resultando em resolução completa em três meses.

A natureza multifatorial da AMA exige uma abordagem que contemple uma avaliação do desequilíbrio hormonal, além do manejo da inflamação, da sebogênese e da comedogênese. Além do uso de limpadores cutâneos, hidratantes e fotoproteção, a associação de terapias orais e tópicas é uma prática comum, dependendo da apresentação clínica das lesões e das características individuais da paciente.2,5

A combinação tópica de A0,3/BPO2,5 oferece uma estratégia sinergística para o tratamento da acne. O efeito comedolítico do adapaleno, aliado às propriedades antimicrobianas, anti-inflamatórias e de controle sebáceo do peróxido de benzoíla, leva ao desempenho superior em comparação com o uso isolado de qualquer um dos dois. Além disso, o adapaleno reduz a inflamação, o que torna essa combinação apropriada para a abordagem de diversos fatores envolvidos na patogênese de diferentes tipos de acne e fototipos.9,11 O A0,3/BPO2,5 é bem tolerado como tratamento tópico; ainda assim, seu uso em dias alternados e/ou combinado com a aplicação prévia de hidratantes não comedogênicos são alternativas para peles sensíveis.

Os antiandrogênios (por exemplo, espironolactona) normalmente são prescritos para AMA, mesmo em casos em que as avaliações hormonais são normais, levando a uma redução na sebogênese e consequente melhoria nas lesões de acne. Os contraceptivos orais que contêm progestágenos com propriedades antiandrogênicas (por exemplo, ciproterona) são eficazes no tratamento da acne e na prevenção da recidiva após a remissão.2 A espironolactona pode ser usada isoladamente ou em conjunto com contraceptivos orais combinados ou dispositivos intrauterinos para a obtenção de um efeito sinergístico, ou em situações nas quais é necessário compensar os efeitos do levonorgestrel presente nos dispositivos intrauterinos hormonais.9,12,13

Os antibióticos orais, especialmente as tetraciclinas, são recomendados para acne inflamatória entre moderada e grave, em geral por até três meses. A combinação de antibióticos orais com peróxido de benzoíla tópico minimiza o risco de indução de resistência bacteriana.14 A isotretinoína oral é reservada para AMA refratária; ainda assim, sua prescrição cuidadosa e a tranquilização das pacientes é essencial para mulheres em idade fértil.15

Os casos apresentados enfatizam a necessidade de personalizar os planos de tratamento e considerar fatores como preferências da paciente, estilo de vida, efeitos colaterais e contraindicações (como gravidez ou hipercalemia).

Em conclusão, esta série de casos destaca a eficácia e a tolerabilidade de uma abordagem combinada para o tratamento da acne da mulher adulta no contexto da vida real. O uso personalizado de A0,3/BPO2,5 com antiandrogênios, contraceptivos orais combinados e antibioticoterapia de curto prazo destaca a necessidade de estratégias individualizadas que correspondam à gravidade da doença e às características das pacientes. l

REFERÊNCIAS:

1. Addor FASA, Schalka S. Acne da mulher adulta: aspectos epidemiológicos, diagnósticos e terapêuticos. An Bras Dermatol. 2010;85(6):789-95.

2. Dias da Rocha MA, Saint Aroman M, Mengeaud V, Carballido F, Doat G, Coutinho A, Bagatin E. Unveiling the nuances of adult female acne: a comprehensive exploration of epidemiology, treatment modalities, dermocosmetics, and the menopausal influence. Int J Womens Health. 2024;16:663-78.

3. Rocha M, Barnes F, Calderon J, Fierro-Arias L, Gomez CEM, Munoz C, Jannell O, et al. Acne treatment challenges - Recommendations of Latin American expert consensus. An Bras Dermatol. 2024;99(3):414-24.

4. Lange EP HG, Sampaio RP, Estella PC, Benedito BA, Schimitt JV. Adult female acne: prevalence and risk factors in a sample of the brazilian population. Surg Cosmet Dermatol. 2025;17:e20250363.

5. Medeiros Ribeiro B, Follador I, Costa A, Francesconi F, Neves JR, Almeida LMC. Acne da mulher adulta: revisão para o uso na prática clínica diária. Surg Cosmet Dermatol. 2015;7:10-9.

6. Bagatin E, Rocha M, Freitas THP, Costa CS. Treatment challenges in adult female acne and future directions. Expert Rev Clin Pharmacol. 2021;14(6):687-701.

7. Chilicka K, Rogowska AM, Szygula R, Dziendziora-Urbinska I, Taradaj J. A comparison of the effectiveness of azelaic and pyruvic acid peels in the treatment of female adult acne: a randomized controlled trial. Sci Rep. 2020;10(1):12612.

8. Thielitz A, Lux A, Wiede A, Kropf S, Papakonstantinou E, Gollnick H. A randomized investigator-blind parallel-group study to assess efficacy and safety of azelaic acid 15% gel vs. adapalene 0.1% gel in the treatment and maintenance treatment of female adult acne. J Eur Acad Dermatol Venereol. 2015;29(4):789-96.

9. Amuzescu A, Tampa M, Matei C, Georgescu SR. Adult female acne: recent advances in pathophysiology and therapeutic approaches. Cosmetics. 2024;11(3):74.

10. Dreno B, Nguyen JM, Hainaut E, Machet L, Leccia MT, Beneton N, Claudel JP, Celerier P, Le Moigne M, Le Naour S, et al. Efficacy of spironolactone compared with doxycycline in moderate acne in adult females: results of the multicentre, controlled, randomized, double-blind prospective and parallel female acne spironolactone vs doxyCycline Efficacy (FASCE) Study. Acta Derm Venereol. 2024;104:adv26002.

11. Dreno B, Bissonnette R, Gagne-Henley A, Barankin B, Lynde C, Kerrouche N, Tan J. Prevention and Reduction of Atrophic Acne Scars with Adapalene 0.3%/Benzoyl Peroxide 2.5% Gel in Subjects with Moderate or Severe Facial Acne: Results of a 6Month Randomized, Vehicle-Controlled Trial Using Intra-Individual Comparison. Am J Clin Dermatol. 2018;19(2):275-86.

12. Aguilar Medina DA, Cazarin J, Magana M. Spironolactone in dermatology. Dermatol Ther. 2022;35(5):e15321.

13. Searle TN, Al-Niaimi F, Ali FR. Spironolactone in dermatology: uses in acne and beyond. Clin Exp Dermatol. 2020;45(8):986-93.

14. Bagatin E, Florez-White M, Arias-Gomez MI, Kaminsky A. Algorithm for acne treatment: Ibero-Latin American consensus. An Bras Dermatol. 2017;92(5):689-93.

15. Bagatin E, Costa CS, Rocha M, Picosse FR, Kamamoto CSL, Pirmez R, Ianhez M, Miot HA. Consensus on the use of oral isotretinoin in dermatology - Brazilian Society of Dermatology. An Bras Dermatol. 2020;95(Suppl 1):19-38.

CONTRIBUIÇÃO DOS AUTORES:

Marco Alexandre Rocha 0000-0003-1090-177X

Aprovação da versão final do manuscrito; Concepção e planejamento do estudo; Elaboração e redação do manuscrito; Obtenção, análise e interpretação dos dados; Participação efetiva na orientação da pesquisa; Participação intelectual em conduta propedêutica e/ou terapêutica de casos estudados; Revisão crítica da literatura; Revisão crítica do manuscrito.

Leonel Fierro-Arias 0000-0001-6264-7342

Aprovação da versão final do manuscrito; Concepção e planejamento do estudo; Elaboração e redação do manuscrito; Obtenção, análise e interpretação dos dados; Participação efetiva na orientação da pesquisa; Participação intelectual em conduta propedêutica e/ou terapêutica de casos estudados; Revisão crítica da literatura; Revisão crítica do manuscrito.

Patricia Troielli 0000-0002-3070-3917

Aprovação da versão final do manuscrito; Concepção e planejamento do estudo; Elaboração e redação do manuscrito; Obtenção, análise e interpretação dos dados; Participação efetiva na orientação da pesquisa; Participação intelectual em conduta propedêutica e/ou terapêutica de casos estudados; Revisão crítica da literatura; Revisão crítica do manuscrito.

Anália Viana 0000-0002-1978-1367

Aprovação da versão final do manuscrito; Concepção e planejamento do estudo; Elaboração e redação do manuscrito; Obtenção, análise e interpretação dos dados; Participação efetiva na orientação da pesquisa; Participação intelectual em conduta propedêutica e/ou terapêutica de casos estudados; Revisão crítica do manuscrito.

Hélio Amante Miot 0000-0002-2596-9294

Aprovação da versão final do manuscrito; Elaboração e redação do manuscrito; Obtenção, análise e interpretação dos dados; Participação intelectual em conduta propedêutica e/ou terapêutica de casos estudados; Revisão crítica da literatura; Revisão crítica do manuscrito.

www.surgicalcosmetic.org.br/

Reconstrução em estágio único

de um defeito no terço superior da orelha com enxerto de cartilagem conchal ipsilateral e retalho préauricular tunelizado

Single-stage reconstruction of an upper third auricular defect with ipsilateral conchal cartilage graft and tunnelized preauricular flap

DOI: http://www.dx.doi.org/10.5935/scd1984-8773.2025170468

RESUMO

Grandes defeitos no terço superior da orelha representam desafios reconstrutivos, exigindo a restauração da forma e função. Descrevemos uma técnica em estágio único que combina um enxerto de cartilagem conchal ipsilateral para suporte estrutural com um retalho pré-auricular tunelizado para cobertura de tecidos moles. Essa abordagem garante suporte rígido, permitindo o uso de óculos e aparelhos auditivos, com boa compatibilidade de cor e textura. Em um paciente de 79 anos com um defeito pós-Mohs de 30 × 28 mm, a técnica preservou o contorno e a função auricular. Apenas questões menores, como um leve deslocamento anterior da orelha, foram observadas no seguimento de 8 meses.

Keywords: Mohs Surgery; Dermatologic Surgical Procedures; Carcinoma, Basal Cell

Como eu faço?

Autores:

Roberto Klinger-Guerra1

Jaime Zapata-Sepúlveda1

Pablo Vargas-Mora1

Pablo Muñoz-Alvear1

1 Universidad de Chile, Dermatologia, Santiago, Chile

ABSTRACT

Large upper-third auricular defects present complex reconstructive challenges, requiring restoration of both form and function. We describe a single-stage technique combining an ipsilateral conchal cartilage graft for structural support with a tunnelized preauricular transposition flap for soft tissue coverage. This approach provides rigid support to enable the use of glasses and hearing aids, along with good color and texture match. In a 79-year-old patient with a 30 × 28 mm post-Mohs surgical defect, the method yielded a satisfactory outcome with preserved ear contour and function. Only minor issues, such as slight forward auricular displacement, were noted at 8-month follow-up.

Keywords: Mohs Surgery; Dermatologic Surgical Procedures; Carcinoma, Basal Cell

Correspondência:

Roberto Klinger-Guerra E-mail: roberto.klinger@ug.uchile.cl

Fonte de financiamento: Nenhuma Conflito de interesse: Nenhum

Data de submissão: 08/05/2025 Decisão final: 13/07/2025

Como citar este artigo: Klinger-Guerra R, Zapata-Sepúlveda J, Vargas-Mora P, Muñoz-Alvear P. Reconstrução em estágio único de um defeito no terço superior da orelha com enxerto de cartilagem conchal ipsilateral e retalho pré-auricular tunelizado. Surg Cormet Dermatol. 2025;17:e20250468.

Klinger-Guerra R, Zapata-Sepúlveda J, Vargas-Mora P, Muñoz-Alvear P

INTRODUÇÃO

A reconstrução de defeitos do terço superior da orelha representa um desafio único devido à anatomia intrincada desta e o seu papel duplo em termos de estética e função. A perda de cartilagem e de pele, com frequência após excisão oncológica, exige o uso de técnicas que preservem o contorno e a rigidez. ¹,2 Isso é particularmente relevante para pacientes idosos que dependem da estrutura do pavilhão auricular para usar óculos ou aparelhos auditivos. 3,4

Abordagens em estágio único oferecem uma solução prática que minimiza as intervenções cirúrgicas e reduz as complicações associadas com comorbidades como diabetes ou hipertensão.3,4

O uso de enxertos de cartilagem e retalhos bem vascularizados é eficaz em restaurar a integridade estrutural e melhorar os desfechos funcionais.5,6

MÉTODOS

Foi selecionado um reparo em estágio único, combinando enxerto de cartilagem conchal ipsilateral com retalho pré-auricular tunelizado. Inicialmente, a cartilagem da concha ipsilateral foi colhida por meio de uma incisão na pele da concha. O enxerto de cartilagem foi colocado sobre o defeito e fixado ao arcabouço car-

tilaginoso remanescente com suturas reabsorvíveis de Vicryl 4-0. A área doadora foi fechada com suturas de Prolene 5-0. Em seguida, foi planejado um retalho de transposição pré-auricular ipsilateral de base superior, seguindo as linhas naturais da pele. A dissecção do retalho foi iniciada distalmente e avançou em direção ascendente até o nível do ramo da hélice. Foi realizada uma incisão ao longo do teto da hélice, criando um túnel sob ela. O túnel foi dimensionado cuidadosamente para corresponder à largura e espessura do retalho. A porção do retalho através do túnel foi desepitelizada. A seguir, o retalho pré-auricular foi conduzido através do túnel, posicionado sobre odefeito no enxerto de cartilagem e fixado com suturas de Prolene 4-0. O defeito secundário na área pré-auricular foi fechado com suturas de Vicryl 4-0 e Prolene 5-0.

RESULTADOS

A reconstrução foi completada com sucesso em um único tempo operatório. O aspecto pós-operatório imediato da orelha apresentava o contorno restaurado do terço superior e um retalho cutâneo bem posicionado, com boa compatibilidade de cor em relação à pele auricular adjacente. O enxerto de cartilagem oferecia suporte estrutural evidente, mantendo a projeção e o formato da hélice. O retalho pré-auricular apresentava perfusão

Figura 1: Defeitos pós-CMM. CMM: cirurgia micrográfica de Mohs
Figura 2: Desenho proposto do retalho

3: Elevação do retalho pré-auricular e exposição do defeito

robusta e não havia sinais de congestão venosa ou comprometimento no período pós-operatório. Também foram observadas complicações menores. O paciente apresentava um ligeiro deslocamento anterior do terço superior da orelha e presença de pele pilosa em uma área normalmente glabra. Contudo, essas questões não afetaram o desfecho funcional global.

DISCUSSÃO

Enxertos de cartilagem oferecem suporte essencial na reconstrução auricular, preservando o contorno e prevenindo deformidades a longo prazo.¹,2 Devido à sua curvatura semelhante, a cartilagem conchal é uma área doadora favorável para enxertos autólogos que evitam a morbidade associada a enxertos distantes.4 Os retalhos pré-auriculares favorecem a vascularização, o que reduz o risco de necrose e garante a cobertura estável de tecidos moles.³,7,8 Apesar dessas vantagens, foram observadas complicações menores, incluindo deslocamento anterior da orelha e a presença de pele pilosa em uma área normalmente glabra. Embora não causem limitações funcionais, essas questões destacam a importância de otimizar a tensão do retalho e a fixação do enxerto.3,5 Aprimoramentos futuros, como o posicionamento preciso do retalho e controle do dimensionamento do enxerto, podem levar a desfechos ainda melhores. Nos casos de transposição de pele pilosa, a depilação a laser ou pequenas revisões podem contribuir para resultados cosméticos superiores.6,7

Figura
Figura 4: Pós-operatório imediato
Figura 5: Pós-operatório de 8 meses

Klinger-Guerra R, Zapata-Sepúlveda J, Vargas-Mora P, Muñoz-Alvear P

Estudos anteriores confirmam a eficácia de combinar enxertos de cartilagem com retalhos pré-auriculares, demonstrando alta estabilidade estrutural e baixos índices de complicações.1,2,4,8 Nossos achados reforçam a necessidade de um planejamento cirúrgico meticuloso para equilibrar demandas estéticas e funcionais.

CONCLUSÃO

A técnica de estágio único para reconstrução de defeitos do terço superior da orelha, utilizando enxerto de cartilagem

conchal ipsilateral e retalho de transposição pré-auricular tunelizado, é uma abordagem confiável e eficaz. O método restaura com sucesso a forma e a função do pavilhão auricular e proporciona rigidez suficiente para sustentar dispositivos como óculos e aparelhos auditivos. Além disso, elimina a necessidade de procedimentos em múltiplos estágios, o que é particularmente vantajoso para pacientes idosos ou para aqueles cujas comorbidades aumentam o risco de complicações pós-operatórias. l

REFERÊNCIAS:

1. Brent B. Technical advances in ear reconstruction with autogenous rib cartilage grafts: personal experience with 1200 cases. Plast Reconstr Surg. 1999;104(2):319-34.

2. Ebrahimi A. Reconstructive surgery of auricular defects: an overview. Plast Aesthet Res. 2015;2(5):219-26.

3. Armin BB. Partial auricular reconstruction. Semin Plast Surg. 2011;25(4):249-56.

4. Helal HA. Reconstruction of post-traumatic full-thickness defects of the upper auricle using autologous conchal cartilage graft and temporoparietal fascia. World J Plast Surg. 2014;3(2):95-101.

5. Moreno-Vazquez S, Antoñanzas J, Oteiza-Rius I, Escudero-Nafs FJ, Espinoza-Mellado MD, Idoate MÁ, et al. Reconstructive procedures of the auricular concha after cutaneous oncologic surgery: a systematic review. J Clin Med. 2023;12(20):6521.

6. Hallak B, Bouayed S, Teiga PS. Two-stage reconstruction of a full-thickness defect of the upper third of the auricle, using an autologous ipsilateral conchal cartilage graft; surgical technique. Otolaryngol Case Rep. 2020;17:100231.

7. Schmidt M, Zaussinger M, Duscher D, Wenny R, Huemer GM. Preauricular pull-through flap for reconstruction of the auricle. J Plast Reconstr Aesthet Surg. 2021;74(1):130-4.

8. Pereira N, Tolkachjov SN, Weenig RH, Martires KJ. Tunnelized preauricular transposition flap for reconstruction of auricular defect. J Dermatol Treat. 2014;25(5):441-3.

CONTRIBUIÇÃO DOS AUTORES:

Roberto Klinger-Guerra 0009-0001-9504-2849

Análise estatística; Aprovação da versão final do manuscrito; Concepção e planejamento do estudo; Elaboração e redação do manuscrito; Obtenção, análise e interpretação dos dados; Participação efetiva na orientação da pesquisa; Participação intelectual em conduta propedêutica e/ ou terapêutica de casos estudados; Revisão crítica da literatura; Revisão crítica do manuscrito.

Jaime Zapata-Sepúlveda 0009-0000-1990-3275

Análise estatística; Aprovação da versão final do manuscrito; Concepção e planejamento do estudo; Elaboração e redação do manuscrito; Obtenção, análise e interpretação dos dados; Participação efetiva na orientação da pesquisa; Participação intelectual em conduta propedêutica e/ ou terapêutica de casos estudados; Revisão crítica do manuscrito.

Pablo Vargas-Mora 0000-0002-9388-2940

Análise estatística; Aprovação da versão final do manuscrito; Concepção e planejamento do estudo; Elaboração e redação do manuscrito; Obtenção, análise e interpretação dos dados; Participação efetiva na orientação da pesquisa; Participação intelectual em conduta propedêutica e/ ou terapêutica de casos estudados; Revisão crítica da literatura; Revisão crítica do manuscrito.

Pablo Muñoz-Alvear 0000-0001-8214-649X

Análise estatística; Aprovação da versão final do manuscrito; Concepção e planejamento do estudo; Elaboração e redação do manuscrito; Obtenção, análise e interpretação dos dados; Participação efetiva na orientação da pesquisa; Participação intelectual em conduta propedêutica e/ ou terapêutica de casos estudados; Revisão crítica da literatura; Revisão crítica do manuscrito.

www.surgicalcosmetic.org.br/

Fechamento tardio de ferida cirúrgica do couro cabeludo pela técnica de Figueiredo: relato de um caso

Delayed closure of a scalp surgical wound using the Figueiredo technique: a case report

Relato de caso

Autores:

Rebecca Perez de Amorim1 Hélio Amante Miot1

1 Universidade Estadual Paulista (UNESP), Dermatologia e Radioterapia, Botucatu (SP), Brasil

DOI: http://www.dx.doi.org/10.5935/scd1984-8773.2025170407

RESUMO

Nem todas as feridas operatórias são passíveis de fechamento primário, especialmente no couro cabeludo, onde a inelasticidade do tecido e a extensão da lesão, como em neoplasias cutâneas, complicam o procedimento. Enxertos e retalhos aumentam a complexidade, o tempo de recuperação e o custo cirúrgico. A técnica de Figueiredo reduz custos, protege a ferida no período crítico, mantém sua umidade e promove odesenvolvimento do tecido de granulação. Este relato inédito apresenta a aplicação da técnica em couro cabeludo de um paciente idoso com esclerodermia sistêmica e lesão suspeita de carcinoma espinocelular, demonstrando boa evolução e resultado estético satisfatório.

Palavras-chave: Oncologia Cirúrgica; Neoplasias cutâneas; Técnicas de Fechamento de Ferimentos; Couro Cabeludo.

ABSTRACT

Not all surgical wounds are amenable to primary healing, particularly on the scalp where tissue inelasticity and lesion extent, such as in skin cancers, complicate the procedure. Grafts and flaps increase complexity, recovery time, and surgical costs. The Figueiredo technique reduces costs, protects the wound during its critical phase, maintains wound moisture, and promotes the effective development of granulation tissue. This previously unpublished report demonstrates the use of the technique on the scalp of an elderly patient with systemic scleroderma and a suspected squamous cell carcinoma lesion, showing good progress and satisfactory aesthetic results.

Keywords: Surgical Oncology; Skin Neoplasms; Wound Closure Techniques; Scalp.

Correspondência:

Rebecca Perez de Amorim E-mail: rebeccapamorim@outlook.com / helio.a.miot@unesp.br

Fonte de financiamento: Nenhuma. Conflito de interesses: Nenhum.

Data de submissão: 16/09/2024

Decisão final: 28/01/2025

Como citar este artigo: Amorim RP, Miot HA. Fechamento tardio de ferida cirúrgica do couro cabeludo pela técnica de Figueiredo: relato de um caso. Surg Cosmet Dermatol. 2025;17:e20250407.

INTRODUÇÃO

A técnica cirúrgica de Figueiredo, publicada em 2017, demonstrou o uso de uma prótese de polipropileno, obtida a partir de uma bolsa estéril de soro fisiológico, para a cobertura de lesões traumáticas em ponta de dedos.1-3 A técnica é fundamentada na realização de um reparo prévio do leito ungueal e colocação da prótese, cortada na forma exata da área da ferida operatória, sob o leito ungueal, sendo esta fixada com pontos simples ou em “U” com fio de nylon. O material substitui temporariamente a unha, ficando acomodado e fixo nas margens da lesão sem pressionar a área do leito em reparação.1,3 Desse modo, a ferida cicatriza por segunda intenção e a prótese garante a proteção da área abordada, reduz infecção por contaminação local, estimula mais rapidamente a formação de um tecido de granulação e evita a aderência dos curativos no local.1,3 O primeiro artigo sobre a técnica aplicado à dermatologia foi publicado em 2023. Nele, foi descrito o seu uso para casos de lesões em áreas distais dos membros, nos quais a pega do enxerto é dificultada, seja pela extensão da ferida cirúrgica, pela presença de forças de cisalhamento, por insuficiência venosa ou por edema periférico.2 Ainda não há relatos sobre a utilização da técnica de Figueiredo em couro cabeludo. Ela pode ser de grande valia na prática clínica dermatológica, dada a pouca redundância de tecido local e a necessidade frequente, a depender da extensão do tumor, de abordagens agressivas.

MÉTODOS E RESULTADOS

O paciente, um homem de 73 anos, portador de esclerodermia sistêmica limitada, relatava presença de lesão dolorosa em couro cabeludo há seis meses. Ao exame físico, a lesão apresentava-se como um nódulo hiperceratótico infiltrado e de base eritematosa (Figura 1), com 1,5 cm em seu maior eixo e localizado em região parietal esquerda. O nódulo era compatível com a suspeita de carcinoma espinocelular (CEC). Optou-se pela excisão com margem oncológica e fechamento por segunda intenção com o uso da técnica de Figueiredo para a abordagem cirúrgica terapêutica, por se tratar de um ambiente ambulatorial de média complexidade. Foi realizada antissepsia com clorexidina alcóolica e anestesia local infiltrativa com lidocaína 2% com vasoconstritor. A exérese da lesão englobou uma margem lateral de 4 mm, chegando-se à gálea no limite inferior (Figura 2). Foi feito o recorte da bolsa de soro fisiológico e colocação da prótese de polipropileno, mantendo dimensões similares ao defeito cirúrgico (Figura 3). Para evitar isquemia do tecido , a prótese foi fixada com pontos simples de nylon 3.0 bem espaçados entre si. Um curativo compressivo foi realizado com gaze, faixa e fita Micropore. O paciente foi orientado a retirar os curativos secundários 48 horas após o procedimento e a retornar em 21 dias para a retirada da prótese. Passados 21 dias, o paciente retornou para a retirada da prótese. A área apresentava um tecido de granulação eritematoso e viável, ao nível da pele circunjacente. Não houve necessidade de desbridamento (Figura 4). O paciente evoluiu bem e sem queixas, retornou após 45 dias com cicatrização

Figura 1: Pré-operatório: placa hiperceratótica, infiltrada e de base eritematosa, medindo cerca de 1,5 cm, localizada em região parietal esquerda

Figura 2: Ferida intraoperatória, exérese de lesão com margem lateral de 4 mm, chegando à gálea na margem profunda

Surg Cosmet Dermatol. 2025;v.17: n.3 jul-sep. p.331-4.

Figura 3: Pós-operatório imediato: prótese de polipropileno fixada com pontos simples de nylon 3.0, bem espaçados entre si

Figura 4: 21º dia pós-operatório: retirada da prótese de polipropileno, com presença de tecido de granulação, ao nível das margens laterais

completa do defeito cirúrgico, referida desde o 30º dia. O laudo do exame histopatológico foi de CEC bem diferenciado, exérese com margens livres. O resultado estético satisfatório pode ser avaliado na Figura 5, após 6 meses do procedimento.

DISCUSSÃO

A técnica de Figueiredo apresenta-se como possibilidade para a condução de cicatrização em lesões estéreis em couro cabeludo. Considerada como de fácil execução, não necessita de cirurgião dermatológico com experiência em cirurgias avançadas ou centro cirúrgico de suporte em hospital terciário para ser realizada. Além disso, a técnica utiliza materiais de baixo custo e de ampla disponibilidade, o que desonera o sistema de saúde.2-6 Oncologicamente, permite a detecção precoce de recidivas e favorece a reintervenção, ao contrário da rotação de retalhos.6-8 Tem grande aplicabilidade em idosos, que apresentam redução do suprimento vascular, o que dificulta a pega do enxerto, como no caso da esclerose sistêmica. Também evita a abordagem de outra área cirúrgica (área doadora) nos casos de enxertia, reduzindo o incômodo, a probabilidade de complicações, o tempo de recuperação pós-cirurgia e a morbidade associada ao procedimento. Em casos de retalhos, também há a necessidade de ampliação da área cirúrgica para rotacioná-los, o que aumenta otempo cirúrgico e a quantidade anestésica. Além disso, muitos

Figura 5: Pós-operatório tardio de 180 dias, com lesão totalmente cicatrizada

pacientes apresentam áreas adjacentes ao tumor de pele abordado igualmente fotodanificadas, que não são ideais para a cobertura deste.2,4,5,6 Durante o processo de cicatrização, o exsudato formado é substituído por fibrina, que tem coloração amarelada. Gradativamente, esse tecido vai dando espaço ao tecido de granulação que, por fim, leva à epitelização completa da ferida operatória. Como a prótese de polipropileno é transparente, isso possibilita reavaliações, importante em casos nos quais as lesões são extensas e necessitam ficar com a prótese por um período maior do que relatado no presente caso. O tempo da cicatrização depende de fatores da ferida, como a ocorrência de infecção, e de fatores do paciente, como idade e qualidade da pele (espessura, vascularização, fotodano, etc.).3,4 Algumas publicações descrevem o processo de cicatrização por segunda intenção em feridas no couro cabeludo e na fronte após a realização da cirurgia micrográfica de Mohs.6,7 A cicatrização por segunda intenção se baseia em duas etapas principais: contração da ferida e reepitelização. Praticamente não há contração da ferida nas áreas citadas, dada a inelasticidade do tecido, de modo que a cicatrização ocorre predominantemente por reepitelização.7,8 O processo de reepitelização inicia nas margens da ferida. É preciso esperar que o tecido de granulação (TG) em formação “preencha a ferida”, para que então ocorra a migração epitelial. A formação do TG depende da manutenção da umidade na ferida operatória (FO). A literatura descreve a limpeza da FO com peróxido de hidrogênio, o uso de antibióticos tópicos, limpezas diárias, uso diário de petrolato e a realização de curativos com quatro ca-

REFERÊNCIAS:

1. Figueiredo LA, Ribeiro RS, Melo ALB, Lima AL, Terra BB, Ventim FC. Polypropylene prosthesis for the treatment of fingertip injuries. Description of surgical technique and results. Rev Bras Ortop. 2017;52(6):685-92.

2. Carrai LHM, Rodrigues EF, Lima TFM, Sasseron MGM, Gomes Neto A. Delayed surgical closure (secondary intention) using the Figueiredo Technique: a case series study. Surg Cosmet Dermatol. 2023;15:e20230212.

3. Muniz AAS, Muniz MT, Figueiredo LA, Figueiredo PH, Oliveira BG. Use of the Figueiredo Technique for the treatment of ring avulsion injury: a case report. BioRes Scientia. 2024;2(2):1-4.

4. Figueiredo LA, Ribeiro RS, Figueiredo PH, Lima ALM, Oliveira FM, Oliveira Júnior DS. Comparison between Atasoy-Kleinert V-Y Advancement Flap and Figueiredo Techniques for the treatment of transverse and dorsal oblique fingertip injuries. Rev Bras Ortop. 2022;59(5): e712–e718.

CONTRIBUIÇÃO DOS AUTORES:

Rebecca Perez de Amorim 0000-0002-1170-5685

madas (vaselina, gaze, algodão e fita) para evitar infecção secundária e permitir e formação do tecido de cicatrização. Também se propõe a realização de sutura em bolsa nas margens da ferida para acrescentar o componente de contração tecidual.7,8 O uso da prótese de polipropileno nas circunstâncias descritas neste relato de caso traz algumas vantagens. Ela é resistente, permanece sobre o local pelo período proposto, garante a proteção e a umidade do leito operatório, sem compressão e estimulando o tecido de granulação. Após o período inicial de 48 horas, curativos secundários e creme podem ser dispensados enquanto a bolsa estiver posicionada e o contato com a água é permitido. Além do mais, suturar as margens da lesão acrescenta o componente de contração tecidual descrito acima.2,3,4,7,8 É necessário realizar estudos prospectivos, randomizados e controlados com curativos convencionais para avaliar as potenciais vantagens da técnica de Figueiredo no reparo de defeitos cirúrgicos do couro cabeludo submetidos à cicatrização por segunda intenção.

CONCLUSÃO

O fechamento primário é o método mais comum de restauração cutânea e deve ser considerado, desde que gere resultados estéticos satisfatórios e sem distorção anatômica. Contudo, há certas circunstâncias em que isso não é possível. Uma alternativa à realização de enxertos e retalhos é permitir a cicatrização por segunda intenção.6 A técnica de Figueiredo demonstrou ser eficaz e segura no caso relatado, não houve infecção local associada ao uso da prótese e o paciente obteve resultado estético satisfatório. l

5. Carvalho RSS, Leitão Júnior PSL, Dias Neto VS, Souza IGL, Rosal LCF, Gomes ACS. Use of polypropylene prosthesis using the Figueiredo Technique for treating thumb degloving in the interior of Minas Gerais – case report. Braz J Health Rev. 2024;7(3):1-11.

6. Sin-Soler M, Yébenes M, Gamissans M, Riera-Martí N, Lara A, Sàbat M. The use of bone wax versus dermal regeneration matrix for the reconstruction of scalp defects. Int J Dermatol. 2024;63(9):1236-41.

7. Becker GD, Adams LA, Levin BC. Secondary intention healing of exposed scalp and forehead bone after Mohs surgery. Otolaryngol Head Neck Surg. 1999;121(6):751-4.

8. Wong N, Zloty D. Secondary intention healing over exposed bone on the scalp, forehead, and temple following Mohs micrographic surgery. J Cutan Med Surg. 2022;26(3):274-9.

Aprovação da versão final do manuscrito, Concepção e planejamento do estudo, Elaboração e redação do manuscrito, Obtenção, análise e interpretação dos dados, Participação intelectual em conduta propedêutica e/ou terapêutica de casos estudados, Revisão crítica da literatura, Revisão crítica do manuscrito.

Hélio Amante Miot 0000-0002-2596-9294

Aprovação da versão final do manuscrito, Concepção e planejamento do estudo, Elaboração e redação do manuscrito, Obtenção, análise e interpretação dos dados, Participação efetiva na orientação da pesquisa, Participação intelectual em conduta propedêutica e/ou terapêutica de casos estudados, Revisão crítica da literatura, Revisão crítica do manuscrito.

www.surgicalcosmetic.org.br/

Onicomatricoma: sempre um desafio diagnóstico

Onychomatricoma: always a diagnostic challenge

DOI: http://www.dx.doi.org/10.5935/scd1984-8773.2025170408

RESUMO

O onicomatricoma é um tumor raro e benigno do aparelho ungueal. Achados clínicos, dermatoscópicos e eventualmente exames de imagem e histopatologia confirmam o diagnóstico. Relatamos o caso de um paciente masculino de 15 anos submetido a múltiplos tratamentos prévios para outros diagnósticos sem resposta. A hipercurvatura transversa e as projeções digitiformes na lâmina ungueal, complementadas pela análise histopatológica, confirmaram a hipótese de onicomatricoma. A relevância do diagnóstico correto e da devida condução terapêutica nesses casos poupa sofrimento para o paciente e otimiza recursos públicos que seriam gastos em inúmeras consultas e longo período até o diagnóstico.

Palavras-chave: Unhas Malformadas; Onicomicose; Unhas; Neoplasias de Anexos e de Apêndices Cutâneos.

Relato de caso

Autores:

Soraya Neves Marques Barbosa dos Santos1

Sílvia Iovine Kobata1

Isabela Boechat Morato1

Natália de Paiva Sobreira1

1 Universidade Federal de Minas Gerais (UFMG), Dermatologia, Belo Horizonte (MG), Brasil

ABSTRACT

Onychomatricomas are rare and benign tumors of the nail apparatus. Clinical findings, dermoscopic features and possibly imaging and histopathology exams confirm the diagnosis. We report the case of a 15-year-old male patient who had undergone multiple previous treatments for other diagnoses with no response. The transverse hypercurvature and digitiform projections on the nail plate, complemented by histopathological analysis, confirmed the hypothesis of onychomatricoma.The relevance of proper diagnosis and therapeutic management in these cases spares the patient and optimizes the use of public resources that would otherwise be spent on countless consultations and the long period until diagnosis.

Keywords: Neoplasms, Adnexal and Skin Appendage; Nails; Onychomycosis; Nails, Malformed.

Correspondência:

Soraya Neves Marques Barbosa dos Santo

E-mail: snmbsantosdermato@hotmail. com / snmbsantosdermato@gmail.com

Fonte de financiamento: Nenhuma.

Conflito de interesses: Nenhum.

Data de submissão: 18/09/2024

Decisão final: 27/02/2025

Como citar este artigo:

Santos SNMB, Kobata SI, Morato IB, Sobreira NP. Onicomatricoma: sempre um desafio diagnóstico. Surg Cosmet Dermatol. 2025;17:e20250408.

INTRODUÇÃO

O onicomatricoma (OM) é um tumor raro e benigno do complexo ungueal, de origem ainda incerta, que ocorre principalmente na matriz ungueal dos dedos das mãos. A apresentação clínica clássica inclui faixa amarelada espessa na lâmina ungueal, com tendência à hipercurvatura transversa, e frequentemente são observados os achados de hemorragia em estilhaço e cavitações na porção distal da lâmina ungueal.1-3 Em geral assintomático e raramente associado a paroníquia crônica, o OM pode podendo ocasionar dor importante e prejuízo na qualidade de vida.2 Na literatura, encontramos vários relatos de um longo percurso assistencial de pacientes até o devido diagnóstico e tratamento adequado.4,5 Este artigo relata um caso clínico referenciado ao serviço de dermatologia tratado por anos como onicomicose, cujo diagnóstico clínico e histopatológico foi compatível com OM. São discutidos a seguir critérios clínicos e complementares para um diagnóstico mais precoce e assertivo.

RELATO DE CASO

Paciente de sexo masculino, de 48 anos de idade, leucoderma, assistente de informática, compareceu ao serviço de Dermatologia se queixando de alteração da espessura e coloração da unha do hálux direito iniciadas há cerca de 15 anos, acompanhada por dor intensa há 1 ano, com piora progressiva e prejuízo da deambulação. Já havia realizado diversos tratamentos prévios para onicomicose com terbinafina oral e antifúngicos tópicos em outro serviço, sem melhora. Relatou episódios de agudização da dor com drenagem de secreção purulenta periungueal com necessidade de antibioticoterapia sistêmica em diversas ocasiões, além do uso frequente de anti-inflamatórios não esteroidais para alívio da dor. Ao exame dermatológico, o hálux direito apresentava lâmina ungueal espessada e amarelada, com faixa bem delimitada de hiperceratose e hipercurvatura transversa contendo projeções digitiformes e focos de hemorragia em estilhaço, melhor evidenciados à dermatoscopia. Havia também edema e calor da dobra ungueal proximal (Figuras 1 e 2). O exame micológico direto do leito ungueal apresentou resultado negativo, porém na cultura houve crescimento de Trichophyton mentagrophytes. Em radiografia de hálux direito (Figura 3), houve dúvida quanto à presença de lesão falangeana distal em saca-bocado em área subjacente à lesão ungueal. Foi solicitada ressonância magnética de hálux direito (Figuras 4 e 5), que evidenciou lesão ovalada em matriz, com hipossinal em T1 e sinal heterogêneo em T2, de limites imprecisos sem infiltração de partes moles, porém ocasionando remodelamento do contorno ósseo. Optou-se por abordagem cirúrgica com biópsia excisional de lesão para confirmação diagnóstica, sendo realizado bloqueio anestésico distal, descolamento da lâmina ungueal e exérese de lesão exofítica medindo 1,5 cm por 0,5 cm em matriz ungueal. No peroperatório foi evidenciada a presença de projeções digitiformes da placa ungueal em direção à lesão da matriz (Figura 6). A análise histopatológica, com coloração de hematoxilina eosina, evidenciou lâmina ungueal com cavitações preenchidas

Figura 1: Lâmina ungueal espessada e amarelada, com faixa bem delimitada de hiperceratose e hipercurvatura transversa contendo projeções digitiformes e focos de hemorragia em estilhaço

Figura 2: Lâmina ungueal espessada e amarelada, com faixa bem delimitada de hiperceratose e hipercurvatura transversa contendo projeções digitiformes e focos de hemorragia em estilhaço

SNMB, Kobata SI, Morato IB, Sobreira NP.

Surg

por plasma e tumor fibroepitelial com projeções digitiformes do epitélio matricial e alguns mastócitos de permeio, compatível com o diagnóstico de OM (Figuras 7 A,B).

DISCUSSÃO

OM é um tumor fibroepitelial raro e benigno da matriz ungueal que ainda representa um desafio diagnóstico. Originalmente descrito por Baran e Kint em 1992,6 apresenta expressão peculiar de CD34 em seu compartimento de tecido conjuntivo.2,7 A incidência é maior em caucasianos, com mais relatos em mulheres, embora alguns autores afirmem não haver predominância por sexo. Ocorre principalmente em torno da quinta década de vida, porém há relato de caso na infância.7,8 A matriz ungueal dos quirodáctilos é afetada com mais frequência (63%), com o indicador respondendo por dois terços dos casos; já os pododáctilos são acometidos em 36% dos casos, e vários dígitos podem ser afetados simultaneamente, embora isso não seja comum.2

A clínica é caracterizada por uma porção bem demarcada da placa ungueal com evidente espessamento, presença de hemorragia em estilhaço, hipercurvatura transversa e xantoníquia, sendo esta o sinal mais comum, observado em pouco mais de 50% dos casos.2 Outras características incluem: eritema e edema da prega ungueal proximal, sulco longitudinal proeminente, melanoníquia longitudinal, onicodistrofia e pterígio dorsal.2,9 Pode ou não haver dor associada. O achado de projeções digitiformes é bastante sugestivo após a avulsão cirúrgica da lâmina ungueal.5 Os diagnósticos diferenciais principais são o fibroqueratoma e o fibroma periungueal, mas também incluem carcinoma de células escamosas, doença de Bowen, verruga vulgar subungueal, que-

Figura 3: Radiografia do hálux
Figura 4 e 5: Ressonância magnética
Figura 6: Durante o perioperatório foi evidenciada a presença de projeções digitiformes da placa ungueal em direção à lesão da matriz

SNMB, Kobata SI, Morato IB, Sobreira NP.

BAFigure 7: A e B - Lâmina e matriz ungueal (hematoxilina e eosina, 10x)

ratoacantoma, osteocondroma e infecções fúngicas e bacterianas. Pode apresentar-se também com melanoníquia longitudinal associada, incluindo como diagnóstico diferencial as desordens de proliferação e ativação de melanócitos da matriz ungueal.2 A coexistência de OM e onicomicose é comum, uma vez que as cavitações tornam a placa ungueal mais susceptível a infecções fúngicas secundárias. Casos de OM frequentemente são tratados como onicomicose, levando ao atraso do diagnóstico e uso desnecessário de medicações sem resposta.10,11 Portanto, o achado de hifas hialinas septadas ao exame micológico direto ou o cres-

cimento fúngico em cultura não excluem o diagnóstico de OM, e a ausência de resposta à terapia padrão deve sugerir a hipótese de outros diagnósticos diferenciais.4 Na dermatoscopia há espessamento da placa ungueal com múltiplas cavitações semelhantes a favo de mel (70%), estrias hemorrágicas (72%) e sulcos longitudinais brancos que correspondem aos canais da placa ungueal (71%). As cavitações em favo de mel podem ser preenchidas por material de pigmentação amarelada ou vermelha a preta. Enquanto os padrões de espessamento da placa e hemorragia em estilhaço não apresentam grande especificidade, podendo estar presentes em casos de onicomicose isoladas, a presença de sulcos brancos longitudinais paralelos associados à demarcação lateral da lesão e cavitações em favo de mel possui grande especificidade.2,4,5,7,12 Podem ser solicitados exames complementares para excluir acometimento ósseo e explorar a presença do OM, porém tais exames não são necessários para confirmação diagnóstica. A ultrassonografia tem maior valor preditivo quando realizada por profissional experiente e pode evidenciar áreas hipoecogênicas na matriz ungueal com áreas lineares hiperecogênicas adjacentes, que correspondem às projeções digitiformes.5,11 A radiografia do dígito acometido é um exame de fácil acesso e pode excluir acometimento ósseo, mas não apresenta sinais típicos para a conclusão diagnóstica. A ressonância magnética, apesar de não ser necessária de rotina, evidencia hipocaptação de sinal em lesão e em matriz ungueal e hipercaptação de sinal adjacente correspondendo às projeções tumorais.3,5 No caso apresentado, a radiografia apresentava imagem duvidosa em falange distal do hálux direito, que poderia corresponder ao acometimento ósseo -(lesão em saca bocado), então optou-se por um segundo exame de imagem antes da abordagem cirúrgica para melhor planejamento. Na histologia, os OM são tumores fibroepiteliais compostos por duas porções distintas. A zona proximal é caracterizada por invaginações epiteliais profundas ocupadas por saliências ungueais. A zona distal abrange as digitações epiteliais originárias do epitélio da matriz, que prolifera e causa perfurações na lâmina ungueal.2,13,14 A imuno-histoquímica é de grande auxílio diagnóstico, com positividade para CD34 e negatividade para marcadores CD99, proteína S-100, antígeno epitelial de membrana, actina e desmina.1 A suspeição clínica somada a exames complementares como radiografia, ultrassonografia, ressonância magnética e dermatoscopia tem grande valor, mas o diagnóstico só pode ser confirmado após análise histopatológica.5,7 O tratamento consiste na excisão cirúrgica completa do tumor, incluindo a matriz ungueal normal proximal à lesão para prevenir recidiva local. Apesar de se tratar de um tumor benigno, recomenda-se seguimento a longo prazo devido ao risco de recidiva. Não raramente complica com distrofia ungueal permanente.2,15 Apesar de apresentar características clínicas e intraoperatórias clássicas, a falta de conhecimento sobre essa doença e sua tendência a ser assintomática contribuem para um diagnóstico tardio. Diante de um caso de aparente onicomicose intratável associada à hipercurvatura transversa, espessamento ungueal e hemorragias em estilhaço, deve-se suspeitar de OM subjacente. l

Surg Cosmet Dermatol. 2025;v.17: n.3 jul-sep. p.335-9.

REFERÊNCIAS:

1. Figueiredo LA, Ribeiro RS, Melo ALB, Lima AL, Terra BB, Ventim FC. Polypropylene prosthesis for the treatment of fingertip injuries. Description of surgical technique and results. Rev Bras Ortop. 2017;52(6):685-92.

2. Carrai LHM, Rodrigues EF, Lima TFM, Sasseron MGM, Gomes Neto A. Delayed surgical closure (secondary intention) using the Figueiredo Technique: a case series study. Surg Cosmet Dermatol. 2023;15:e20230212.

3. Muniz AAS, Muniz MT, Figueiredo LA, Figueiredo PH, Oliveira BG. Use of the Figueiredo Technique for the treatment of ring avulsion injury: a case report. BioRes Scientia. 2024;2(2):1-4.

4. Figueiredo LA, Ribeiro RS, Figueiredo PH, Lima ALM, Oliveira FM, Oliveira Júnior DS. Comparison between Atasoy-Kleinert V-Y Advancement Flap and Figueiredo Techniques for the treatment of transverse and dorsal oblique fingertip injuries. Rev Bras Ortop. 2022;59(5): e712–e718.

5. Carvalho RSS, Leitão Júnior PSL, Dias Neto VS, Souza IGL, Rosal LCF, Gomes ACS. Use of polypropylene prosthesis using the Figueiredo Technique for treating thumb degloving in the interior of Minas Gerais – case report. Braz J Health Rev. 2024;7(3):1-11.

6. Sin-Soler M, Yébenes M, Gamissans M, Riera-Martí N, Lara A, Sàbat M. The use of bone wax versus dermal regeneration matrix for the reconstruction of scalp defects. Int J Dermatol. 2024;63(9):1236-41.

7. Becker GD, Adams LA, Levin BC. Secondary intention healing of exposed scalp and forehead bone after Mohs surgery. Otolaryngol Head Neck Surg. 1999;121(6):751-4.

8. Wong N, Zloty D. Secondary intention healing over exposed bone on the scalp, forehead, and temple following Mohs micrographic surgery. J Cutan Med Surg. 2022;26(3):274-9.

CONTRIBUIÇÃO DOS AUTORES:

Soraya Neves Marques Barbosa dos Santos 0000-0001-5138-8584

Aprovação da versão final do manuscrito, Concepção e planejamento do estudo, Elaboração e redação do manuscrito, Obtenção, análise e interpretação dos dados, Participação efetiva na orientação da pesquisa, Participação intelectual em conduta propedêutica e/ou terapêutica de casos estudados, Revisão crítica da literatura, Revisão crítica do manuscrito.

Sílvia Iovine Kobata 0000-0002-9079-6940

Participação intelectual em conduta propedêutica e/ou terapêutica de casos estudados, Revisão crítica da literatura, Revisão crítica do manuscrito.

Isabela Boechat Morato 0000-0002-2542-4454

Participação intelectual em conduta propedêutica e/ou terapêutica de casos estudados.

Natália de Paiva Sobreira 0000-0002-8460-1289

Elaboração e redação do manuscrito, Obtenção, análise e interpretação dos dados, Participação intelectual em conduta propedêutica e/ou terapêutica de casos estudados.

www.surgicalcosmetic.org.br/

Lobuloplastia bilateral com

técnica “snail” invertida para correção de lóbulos deformados por uso prolongado de alargadores

Bilateral lobuloplasty with inverted “snail” technique for correction of lobes deformed by prolonged use of gauges

Relato de caso

Autores:

Luiz Roberto Dal Bem Pires Júnior1

Fernanda Nomoto Fujii1

Rafaella Castilho1

Waleska Ramos Alvim Lescowicz1

Rodolfo Barros Leite1

Anna Victoria Valiente Engelhorn2

1 Hospital de Clínicas da Universidade Federal do Paraná (UFPR), Dermatologia, Curitiba (PR), Brasil

DOI: http://www.dx.doi.org/10.5935/scd1984-8773.2025170418

RESUMO

O alargamento dos lóbulos das orelhas remonta a diversas culturas ancestrais, nas quais simbolizava status social, identidade cultural e espiritualidade. A partir da década de 1970, popularizou-se no Ocidente como forma de autoexpressão. No entanto, o uso de alargadores pode resultar em deformidades que necessitam de correção cirúrgica. Diversas técnicas foram desenvolvidas ao longo do último século para esse fim. Este relato descreve o uso da técnica “snail” invertida, que utiliza dois retalhos, dobrando o retalho medial em espiral e possibilitando um ajuste harmonioso e simétrico, uma alternativa viável para correção de deformidades extensas e assimetrias.

Palavras-chave: Modificação Corporal não Terapêutica; Deformidades Adquiridas da Orelha; Estética; Procedimentos de Cirurgia Plástica.

2 Hospital de Clínicas da Universidade Federal do Paraná (UFPR), Clínica Médica, Curitiba (PR), Brasil

ABSTRACT

Earlobe stretching dates back to various ancient cultures, symbolizing social status, cultural identity, and spirituality. Since the 1970s, it has gained popularity in the West as a form of self-expression. However, the use of gauges can lead to deformities requiring surgical correction. Numerous techniques have been developed over the past century to address this issue.This case report describes the use of the inverted “snail” technique, which employs two flaps, folding the medial flap into a spiral, and allows for a harmonious and symmetrical adjustment. It can be a viable alternative for correcting extensive deformities and asymmetries.

Keywords: Body modification, non-therapeutic; Ear deformities, acquired; Esthetics; Plastic surgery procedures.

Correspondência:

Luiz Roberto Dal Bem Pires Júnior E-mail: lrdalbem@gmail.com / ldalbem@ymail.com

Fonte de financiamento: Nenhuma. Conflito de interesses: Nenhum.

Data de submissão: 04/11/2024

Decisão final: 13/02/2025

Como citar este artigo:

Pires Júnior LRDB, Fujii FN, Castilho R, Lescowicz WRA, Leite RB, Engelhorn AVV. Lobuloplastia bilateral com técnica 'Snail' invertida para correção de lóbulos deformados por uso prolongado de alargadores. Surg Cosmet Dermatol. 2025;17:e20250418.

Pires Júnior LRDB, Fujii FN, Castilho R, Lescowicz WRA, Leite RB, Engelhorn AVV.

INTRODUÇÃO

A prática de alargar lóbulos das orelhas remonta a diversas culturas ancestrais. No Egito Antigo, por exemplo, o faraó Tutancâmon usava alargadores, uma prática comum entre as elites, que simbolizava posição e poder.1 Na África, tribos como os Maasai, no Quênia, e os Mursi, na Etiópia, preservam essa prática até hoje, associando o tamanho do alargador à idade, sabedoria e respeito do indivíduo dentro da comunidade. O alargamento dos lóbulos também possui significado espiritual em algumas tribos da América do Sul e entre os povos indígenas da Ásia, que acreditam que abre “portais” ou “conexões” com o mundo espiritual.2 No Ocidente contemporâneo, os alargadores começaram a se popularizar nas décadas de 1970 e 1980, como parte de movimentos contraculturais, e se consolidaram nos anos 1990 e 2000, quando se tornaram uma forma de expressão pessoal e se associaram a subculturas e grupos alternativos. A prática passou a ser vista como uma modificação corporal ligada à individualidade e à autoexpressão, desvinculada de tradições e inserida no contexto urbano moderno.3 Embora os alargadores sejam historicamente empregados em muitas culturas para simbolizar status social, identidade cultural e espiritualidade, seu uso prolongado pode causar deformidades do lóbulo da orelha, que podem, por sua vez, necessitar correção cirúrgica. A busca por abordagens que garantam resultados estéticos e funcionais, preservando a anatomia natural do lóbulo e promovendo cicatrizes discretas, tem incentivado o desenvolvimento de novas técnicas de reparo. Neste relato de caso, descrevemos a utilização da técnica “snail” invertida para a reconstrução de lóbulos bilaterais deformados pelo uso prolongado de alargadores, diferindo da técnica descrita previamente em relação ao local de secção do ramo alargado do lóbulo.4

RELATO DE CASO

O paciente, de 29 anos, masculino, sem comorbidades, procurou atendimento especializado para correção de deformidades em ambos os lóbulos das orelhas decorrentes do uso prolongado de alargadores, com aumento gradual desde a adolescência. A apresentação clínica incluía lóbulos com orifícios de grande diâmetro e margens irregulares, além de assimetria entre os dois lados, o que tornava a correção um desafio estético (Figura 1). Após uma avaliação cuidadosa, foi indicada uma lobuloplastia bilateral utilizando a inovadora técnica “snail” invertida, escolhida pela sua capacidade de recriar o contorno natural do lóbulo, minimizando as cicatrizes visíveis e restaurando a simetria. Em ambiente ambulatorial, o procedimento teve início com a marcação da pele em torno da circunferência do ramo alargado do lóbulo (Figura 2A), com pontos específicos nas regiões medial e lateral. Após assepsia e antissepsia, foi realizada infiltração local com solução de Klein modificada, promovendo anestesia e vasoconstrição adequadas. Em seguida, o ramo alargado foi seccionado em sua porção lateral (Figura 2B), resultando em um retalho medial mais longo e um retalho lateral mais curto (Figura 2C). Para garantir a harmonização do novo lóbulo, procedeu-se à escarificação de todo o retalho lateral na superfície interna e

2: Etapas da técnica “snail” Imagem A - Lóbulo alargado Imagem B – Secção Imagem C – Retalhos Imagem D - Rotação e sutura

Figura 1: Pré-operatório
Figura

na superfície externa do retalho medial, preservando parte da superfície externa do retalho lateral para formar a borda inferior do novo lóbulo. O retalho medial foi então dobrado sobre seu próprio eixo, assumindo um formato em espiral, o “snail” ou “caracol”, e unindo-se às áreas cruentas dos dois retalhos. A estabilização foi feita com pontos simples de vicryl 4.0 entre as áreas escarificadas, seguidos por uma sutura contínua com nylon 5.0 em toda a extensão para fechamento da pele (Figura 2D). No pós-operatório, o paciente evoluiu de forma favorável, sem complicações, dor ou sinais de infecção (Figura 3). Apresentou cicatrização adequada e resultado estético satisfatório, com lóbulos simétricos e contorno harmonioso, em contraste com as assimetrias e deformidades observadas anteriormente (Figura 4).

DISCUSSÃO

A deformidade dos lóbulos das orelhas causada pelo uso prolongado de alargadores tem impulsionado a busca por técnicas cirúrgicas que possibilitem uma correção estética e funcional eficaz, visto que indivíduos com defeitos nos lóbulos das orelhas causados por piercings são mais propensos a sofrer efeitos negativos de imagem.5 A correção dessas deformidades requer um cuidado especial devido à complexidade anatômica e às exigências estéticas envolvidas, incluindo a preservação do contorno natural do lóbulo e a minimização de cicatrizes visíveis. Dadas as possibilidades cirúrgicas existentes, em geral se escolhe a técnica que deixará o lóbulo mais semelhante ao original, com forma arredondada e sem entalhes ou desníveis.6,7 Ao longo da história, várias técnicas foram desenvolvidas, desde a simples excisão em

cunha de Miller em 1925 até técnicas mais complexas como a zetaplastia proposta por Hamilton e La Rossa em 1975. A evolução das técnicas de lobuloplastia reflete o esforço constante no sentido de melhorar os resultados estéticos e funcionais para os pacientes.6,8 Técnicas como a de Pardue, que busca preservar o orifício do lóbulo, podem gerar um desnível na borda inferior,8 enquanto métodos como o retalho em “V” de Kalimuthu e a técnica do retalho em “L” de Fatah e Fearon não preservam o orifício do lóbulo.9-11 Apesar disso, a taxa de satisfação relacionada aos resultados da lobuloplastia é de cerca de 92 a 100%,12,13 e a taxa de complicações pós-operatórias é baixa, variando de 0 a 33,3%. As complicações relatadas incluem cicatrizes hipertróficas, deprimidas ou largas, recorrência da fenda e infecções da ferida operatória.14,15 Neste caso, a técnica “snail” demonstrou sua eficácia ao utilizar o retalho medial dobrado em espiral para formar a nova borda do lóbulo, permitindo que o lóbulo recupere um contorno harmonioso e simétrico. A criação de retalhos de tamanhos distintos, com escarificação seletiva, contribui para um ajuste preciso entre os retalhos medial e lateral. Isso possibilita a correção de assimetrias, mantém boa vascularização, garante a suavidade do novo contorno e favorece a cicatrização sem tensão excessiva, o que minimiza a formação de cicatrizes inestéticas. Portanto, a técnica é uma alternativa para pacientes com deformidades significativas causadas por alargadores de grande diâmetro e longa duração. Este relato de caso contribui para a literatura ao apresentar uma técnica com resultado esteticamente adequado, ampliando as opções de tratamento para correção de deformidades extensas e com alta demanda estética. l

Figura 3: Pós-operatório imediato
Figura 4: 20º dia de pós-operatório

Pires Júnior LRDB, Fujii FN, Castilho R, Lescowicz WRA, Leite RB, Engelhorn AVV.

REFERÊNCIAS:

1. Tarlow S, Stutz LN, editors. The Oxford handbook of the archaeology of death and burial. Oxford: Oxford University Press; 2013.

2. Krutak L. Spiritual skin: magical tattoos and scarification. Edition Reuss; 2012.

3. Pitts V. In the flesh: the cultural politics of body modification. New York: Palgrave Macmillan; 2003.

4. Loureiro RS, Caropreso CA, Barboza Junior LCM, Ciancio IHL, Silva JLR, Sin SY. Snail Technique: Correção de Lóbulo Pós-Alargador.

5. Fung N, Hallock G, Kuzon W, Munshi J, Morrison C, Zins J, et al. Stretched earlobe piercings negatively impact casual observer perceptions. Facial Plast Surg. 2019;35(3):299-305.

6. Arasaratnam RBS, Halliday LA, Carr JS, Parkin I, Zoysa N. Repair of large holes in stretched earlobes. Clin Otolaryngol. 2011;36(6):588-98.

7. Maiolini VM, Sbroglio LL, Marques RB, Silva RT, D’Elia MLN. Proposal of a new surgical technique to repair gauge earlobe defect. Surg Cosmet Dermatol. 2020;12(4):374-81.

8. Patrocínio LG, Morais RM, Pereira JE, Patrocínio JA. Earlobe cleft reconstructive surgery. Rev Bras Otorrinolaringol. 2006;72(4):447-51.

9. Kalimuthu R, Larson BJ, Lewis N. Earlobe repair: a new technique. Plast Reconstr Surg. 1984;74(2):299-300.

10. Fatah MF. L-plasty technique in the repair of split earlobe. Br J Plast Surg. 1985;38(3):410-4.

11. Fearon J, Cuadros CL. Cleft earlobe repair. Ann Plast Surg. 1990;24(3):252-7.

12. Miller TR, Eisbach KJ. Repair of enlarged pierced-ear openings. Ear Nose Throat J. 2005;84(5):276-7.

13. Reiter D, Alford EL. Torn earlobe: a new approach to management with a review of 68 cases. Ann Otol Rhinol Laryngol. 1994;103(11):879-84.

14. Ribeiro AA, Lourenço L, Matsuda TMHB, Ferrari NM. Split earlobe repair: literature review and new technique proposal. Surg Cosmet Dermatol. 2009;1(3):141-4.

15. Sharma R, Krishna S, Kumar S, Verma M. Rotation flap lobuloplasty: technique and experience with 24 partially torn earlobes. Int J Oral Maxillofac Surg. 2014;43(10):1206-10.

CONTRIBUIÇÃO DOS AUTORES:

Luiz Roberto Dal Bem Pires Júnior 0009-0001-6728-420X

Aprovação da versão final do manuscrito, Concepção e planejamento do estudo, Elaboração e redação do manuscrito, Participação efetiva na orientação da pesquisa, Participação intelectual em conduta propedêutica e/ou terapêutica de casos estudados, Revisão crítica da literatura, Revisão crítica do manuscrito.

Fernanda Nomoto Fujii 0000-0001-5421-5865

Participação intelectual em conduta propedêutica e/ou terapêutica de casos estudados

Rafaella Castilho 0009-0003-1437-2024

Revisão crítica do manuscrito

Waleska Ramos Alvim Lescowicz 0000-0002-0106-1097

Revisão crítica do manuscrito

Rodolfo Barros Leite 0009-0008-0854-3030

Revisão crítica do manuscrito

Anna Victoria Valiente Engelhorn 0000-0002-9427-6459

Revisão crítica da literatura, Revisão crítica do manuscrito

www.surgicalcosmetic.org.br/

Toxina botulínica no tratamento de pênfigo vegetante de couro cabeludo

Botulinum toxin in the treatment of pemphigus vegetans of the scalp

Relato de Caso

Autores:

André Pozzobon Capeletti1

Ana Paula Dornelles Manzoni1

Rodrigo Pereira Duquia1 Vanessa Vinderfeltes Padilha1

1 Santa Casa de Misericórdia de Porto Alegre, Dermatologia, Porto Alegre (RS), Brasil

DOI: http://www.dx.doi.org/10.5935/scd1984-8773.2025170399

RESUMO

O pênfigo vegetante é uma forma clínica rara de pênfigo vulgar, sendo o acometimento do couro cabeludo ainda mais incomum. O tratamento pode ser desafiador, com frequente necessidade de imunossupressão sistêmica. A toxina botulínica pode ser uma alternativa efetiva e de baixo risco para o tratamento do pênfigo vegetante não responsivo aos tratamentos convencionais. Relatamos um caso inédito na literatura, com sucesso terapêutico das lesões em couro cabeludo através da aplicação de toxina botulínica tipo A. Palavras-chave: Pênfigo; Couro Cabeludo; Toxinas Botulínicas Tipo A

Correspondência: André Pozzobon Capeletti E-mail: pozzobon.capeletti@hotmail. com

ABSTRACT

Pemphigus vegetans is a rare clinical form of pemphigus vulgaris, and scalp involvement is even rarer.Treatment can be challenging, often requiring systemic immunosuppression. Botulinum toxin can be an effective and low-risk alternative for the treatment of pemphigus vegetans unresponsive to conventional treatments. We report an unprecedented case in the literature of successful treatment of scalp lesions through the application of botulinum toxin type A.

Keywords: Pemphigus; Scalp; Botulinum Toxins, Type A

Fonte de financiamento: Nenhuma. Conflito de interesses: Não

Data de submissão: 01/09/2024 Decisão final: 17/02/2025

Como citar este artigo: Capeletti AP, Manzoni APD, Duquia RP, Padilha VV. Toxina botulínica no tratamento de pênfigo vegetante de couro cabeludo. Surg Cosmet Dermatol. 2025;17;e20250399.

INTRODUÇÃO

O pênfigo compreende um grupo de doenças bolhosas autoimunes da pele e das mucosas, com distribuição variável em diferentes regiões do mundo, sendo o pênfigo vulgar o seu subtipo mais comum.1,2,3 O pênfigo vegetante caracteriza-se como uma forma clínica rara,6,8 sendo o acometimento do couro cabeludo ainda mais incomum.3,6,7,8 O tratamento pode ser desafiador, com frequente necessidade de imunossupressão sistêmica.2,3,4,5,6 Este trabalho tem como objetivo apresentar um caso inédito na literatura de pênfigo vegetante de couro cabeludo, refratário aos tratamentos convencionais, com boa resposta clínica ao uso de toxina botulínica tipo A.

RELATO DO CASO

Paciente do sexo masculino, 50 anos, branco, com diagnóstico prévio de pênfigo vulgar, apresentava lesões bolhosas em nariz, couro cabeludo, mucosa oral, tronco, abdome, braços e pernas. A avaliação laboratorial não revelou alterações relevantes. As alternativas terapêuticas inicialmente utilizadas foram prednisona, azatioprina e micofenolato, porém precisaram ser suspensas devido a efeitos colaterais. Com exceção das lesões no couro cabeludo, que evoluíram com aspecto vegetante, houve controle

das demais lesões com o uso de rituximabe (Figura 1A e 1B). O exame anatomopatológico da lesão do couro cabeludo evidenciou acantólise suprabasal, hiperqueratose, acantose e moderado infiltrado inflamatório linfocitário (Figura 2). A imunofluorescência direta evidenciou IgG positivo, com padrão intercelular na epiderme. A associação clínico-histológica corroborou o diagnóstico de pênfigo vegetante. Optou-se pela aplicação de toxina botulínica como tratamento experimental nas lesões do couro cabeludo. Após aplicação tópica de lidocaína 4% em creme (Dermomax®) sobre as placas do couro cabeludo por 30 minutos e limpeza com clorexidina aquosa 0,2%, foi realizada injeção de toxina botulínica tipo A (Botox®), 2 UI/cm², por via intradérmica (Tabela 1). Após 6 semanas, o paciente apresentava melhora superior a 50% da verrucosidade das lesões. Na reavaliação, foi aplicada nova dose de toxina botulínica nos mesmos padrões, com melhora progressiva (Figura 3A e 3B).

DISCUSSÃO E CONCLUSÃO

Atualmente, não existem publicações sobre o uso da toxina botulínica para o tratamento de pênfigo vegetante. Apesar disso, ela tem se mostrado uma alternativa terapêutica promissora

AB

esquerda antes do tratamento com toxina botulínica;

região occipital direita antes do tratamento com toxina botulínica

Capeletti AP, Manzoni APD, Duquia RP, Padilha VV.
Figura 1: A - Placa vegetante localizada na região occipital
B - Placa vegetante localizada na

Surg Cosmet Dermatol. 2025;v.17: n.3 jul-sep. p.344-7.

Figura 2: Exame anatomopatológico evidenciando acantólise suprabasal, hiperqueratose, acantose e moderado infiltrado inflamatório linfocitário (hematoxilina e eosina, 200x)

Tabela 1: Técnica de aplicação da toxina botulínica nas lesões de pênfigo vegetante no couro cabeludo

Descrição da técnica de aplicação

1 Aplicação tópica de lidocaína 4% em creme (Dermomax®) sobre as lesões, 30 minutos antes do procedimento

2 Assepsia com clorexidina aquosa 0,2%, com completa remoção do anestésico tópico nos locais de aplicação

3 Injeção de toxina botulínica tipo A (Botox®), 2 UI/cm², por via intradérmica nas lesões

A B

Figura 3: A - Região occipital esquerda 6 meses após a primeira aplicação de toxina botulínica; B - Região occipital direita 6 meses após a primeira aplicação de toxina botulínica

Capeletti AP, Manzoni APD, Duquia RP, Padilha VV.

e de baixo risco para essa dermatose.9,12,13,14 Os mecanismos de ação da toxina botulínica ainda não estão completamente esclarecidos. Uma das hipóteses sugere que a inibição da fixação da acetilcolina nos receptores neuromotores das glândulas sudoríparas possa reduzir a sudorese e a atividade neural das glândulas écrinas.12,13,15,16 Ademais, postula-se que a toxina botulínica bloqueie a liberação de neuropeptídeos e outras substâncias envolvidas no processo inflamatório local.11,14 No presente caso clínico, observou-se melhora expressiva das lesões, com redução superior a 50% da verrucosidade em apenas 6 semanas e desaparecimento progressivo em um período de 6 meses. A principal

REFERÊNCIAS:

1. Porro AM, Seque CA, Ferreira MCC, Enokihara MMSS. "Penphigus vulgaris." An Bras Dermatol. 2019;94(3):264-78.

2. Messersmith L, Krauland K. Pemphigus Vegetans. In: StatPearls [Internet]. Treasure Island (FL): StatPearls Publishing; 2022.

3. Zaraa I, Sellami A, Bouguerra C, Sellami MK, Chelly I, Zitouna M, et al. Pemphigus vegetans: a clinical, histological, immunopathological and prognostic study. J Eur Acad Dermatol Venereol 2011;25(10):1160-7.

4. Danopoulou I, Stavropoulos P, Stratigos A, Chatziolou E, Chiou A, Georgala S, et al. Pemphigus vegetans confined to the scalp. Int J Dermatol. 2006;45(8):1008-9.

5. Mori M, Mariotti G, Grandi V, Gunnella S, Maio V. "Pemphigus vegetans of the scalp". J Eur Acad Dermatol Venereol. 2016;30(2):368-70.

6. Noama D, Ouafaa H, Nadia A, Said A, Anass F, Hanane R, et al. Pemphigus végétant: une forme rare de pemphigus. La Presse Médicale. 2014;43(5):e119-e134.

7. Lakhmiri M, Maouni S, Znati K, Meziane M, Ismaïli N, Benzekri L, et al. Pemphigus végétant [Pemphigus vegetans]. Ann Dermatol Venereol. 2020;147(1):78-9.

8. Huei LT, Yee EYW. Scalp involvement in pemphigus vegetans. J Cutan Med Surg. 2021;25(3):329.

CONTRIBUIÇÃO DOS AUTORES:

André Pozzobon Capeletti 0000-0002-7226-0042

hipótese é que a ação anidrótica e anti-inflamatória da toxina botulínica reduza o risco de infecções locais, tanto micro quanto macro, que poderiam acentuar o processo pró-inflamatório e agravar o quadro clínico. Baseados em publicações sobre o uso da toxina botulínica no tratamento de dermatoses, acreditamos que sejam necessárias reaplicações periódicas (a cada 6 meses, por exemplo) e otimização dos resultados. A toxina botulínica tipo A pode representar uma alternativa efetiva e de baixo risco para o tratamento do pênfigo vegetante refratário aos tratamentos convencionais. Entretanto, ainda são necessários ensaios clínicos que elucidem a melhor forma de utilização e o seu mecanismo de ação. l

9. Zhang H, Tang K, Wang Y, Fang R, Sun Q. Botulinum toxin in treating Hailey-Hailey disease: asystematic review. J Cosmet Dermatol. 2021;20(5):1396-402.

10. Messikh R, Atallah L, Aubin F, Humbert P. La toxine botulique dans les maladies dermatologiques invalidantes. Ann Dermatol Vénéréol. 2009;136(4):S129-S136.

11. Bansal C, Omlin KJ, Hayes CM, Rohrer TE. Novel cutaneous uses for botulinum toxin type A. J Cosmet Dermatol. 2006;5(3):268-72.

12. Martina E, Diotallevi F, Radi G, Campanati A, Offidani A. Therapeutic use of botulinum neurotoxins in Dermatol: systematic review. Toxins. 2021;13(2):120.

13. Lewandowski M, Świerczewska Z, Barańska-Rybak W. Off-Label use of botulinum toxin in dermatology-current state of the art molecules. 2022;27(10):3143.

14. Alster TS, Harrison IS. Alternative clinical indications of botulinum toxin. Am J Clin Dermatol 2020;21(6):855-80.

15. Kim YS, Hong ES, Kim HS. Botulinum toxin in the field of dermatology: novel indications. Toxins. 2017,9(12):403.

16. Campanati A, Martina E, Giuliodori K, Consales V, Bobyr I, Offidani A, et al. Botulinum toxin off-label use in dermatology: a review. Skin appendage disord. 2017;3(1):39-56.

Aprovação da versão final do manuscrito; concepção e planejamento do estudo; elaboração e redação do manuscrito; obtenção, análise e interpretação dos dados; participação efetiva na orientação da pesquisa; participação intelectual em conduta propedêutica e/ou terapêutica de casos estudados; revisão crítica da literatura; revisão crítica do manuscrito.

Ana Paula Dornelles Manzoni 0000-0001-6184-4440

Aprovação da versão final do manuscrito; concepção e planejamento do estudo; participação efetiva na orientação da pesquisa; revisão crítica do manuscrito.

Rodrigo Pereira Duquia 0000-0001-6308-3585

Aprovação da versão final do manuscrito; concepção e planejamento do estudo; participação efetiva na orientação da pesquisa; revisão crítica do manuscrito.

Vanessa Vinderfeltes Padilha 0000-0001-6794-985X

Aprovação da versão final do manuscrito; concepção e planejamento do estudo; participação intelectual em conduta propedêutica e/ou terapêutica de casos estudados.

www.surgicalcosmetic.org.br/

Um caso de rejeição de transplante renal secundária a cemiplimabe para carcinoma espinocelular cutâneo

recorrente

A case of kidney transplant rejection secondary to cemiplimab for recurrent cutaneous squamous cell carcinoma

Relato de caso

Autores: Nicole Russell1 Siddharth Srikakolapu2 Jane Scribner2

1 University of South Carolina School of Medicine Greenville, School of Medicine, Greenville (SC), Estados Unidos

DOI: http://www.dx.doi.org/10.5935/scd1984-8773.2025170409

RESUMO

Relatamos o caso de um paciente do sexo masculino, 71 anos, com histórico de transplante renal em uso de terapia imunossupressora e cânceres de pele não melanoma, que desenvolveu lesões persistentes na bochecha e testa após múltiplos tratamentos para câncer de pele. As biópsias evidenciaram carcinoma espinocelular cutâneo pouco diferenciado. O paciente foi submetido a terapia de salvamento excisional com reconstrução por retalho, que evoluiu com infecção necessitando de desbridamento. Posteriormente, apresentou metástases dérmicas em trânsito e iniciou tratamento com cemiplimabe. Infelizmente, após dois ciclos, evoluiu com rejeição ao enxerto e necessidade de hemodiálise. Uma PET-CT recente não revelou doença passível de avaliação e não havia sinais clínicos de recidiva em seu último seguimento. Palavras-chave: Receptor de Morte Celular Programada 1; Carcinoma Espinocelular; Rejeição ao Enxerto; Doenças Renais.

2 Medical University of South Carolina, Department of Dermatology and Dermatologic Surgery, Charleston (SC), Estados Unidos

ABSTRACT

We report a case involving a 71-year-old male with a history of kidney transplant on immunosuppressive therapy and non-melanoma skin cancers who developed persistent lesions on the cheek and forehead after multiple skin cancer treatments. Biopsies identified poorly differentiated cutaneous squamous cell carcinoma.The patient underwent excisional salvage therapy with flap reconstruction, complicated by infection requiring debridement. He subsequently presented with in-transit dermal metastases and began treatment with cemiplimab. Unfortunately, after two cycles, he faced graft rejection and transitioned to hemodialysis. A recent PET-CT revealed no evaluable disease, and there were no clinical signs of recurrence at his last follow-up.

Keywords: Programmed Cell Death 1 Receptor; Carcinoma, Squamous Cell; Graft Rejection; Kidney Diseases.

Correspondência: Nicole Russell E-mail: nrussell@email.sc.edu

Fonte de financiamento: Nenhuma Conflito de interesse: Nenhum

Data de submissão: 22/09/2024 Decisão final: 30/01/2025

Como citar este artigo: Russel N, Srikakolapu S, Scribner J. Um caso de rejeição de transplante renal secundária a cemiplimabe para carcinoma espinocelular cutâneo recorrente. Surg Cosmet Dermatol. 2025;17:e20250409.

Russel N, Srikakolapu S, Scribner J.

RELATO DE CASO

Um homem de 71 anos com histórico de transplante renal secundário a nefropatia por IgA, em uso de tacrolimus e prednisona e múltiplos cânceres de pele não melanoma, tratado com terapia fotodinâmica, 5-fluorouracil e cirurgia de Mohs, apresentou-se à clínica dermatológica com lesões que não cicatrizavam na face esquerda e região central da testa adjacentes a cicatrizes da cirurgia de Mohs anteriores. O exame revelou uma pápula escamosa com base eritematosa na bochecha esquerda e região esquerda da testa, uma pápula roxo-avermelhada adjacente a uma cicatriz na região central da testa e uma pápula violácea ulcerada adjacente a uma cicatriz na região anterior esquerda da bochecha/têmpora.

Biópsias anteriores dos locais preocupantes encontraram carcinoma espinocelular moderadamente bem diferenciado. Biópsias obtidas durante a consulta atual revelaram deposição dérmica de carcinoma espinocelular cutâneo pouco diferenciado que se estendia até margens profundas e periféricas. As colorações especiais foram positivas para P63 e CD10 e negativas para desmina e SOX-10 (Figura 1A e 1B).

Além disso, a lesão na região central da testa teve colorações especiais positivas para CK903, P40/CK 5/6, GATA-3 e PAX-8. O paciente foi diagnosticado com carcinoma espinocelular cutâneo localmente agressivo recorrente (T1N0M0) induzido por terapia imunossupressora pós-transplante. Subsequentemente, o paciente foi submetido a terapia de salvamento excisional com reconstrução por retalho. O pós-operatório foi complicado pela cicatrização do enxerto e deterioração. Culturas bacterianas evidenciaram Serratia marcescens resistente a augmentin e o paciente completou um ciclo de Bactrim com desbridamento concomitante da ferida. Observou-se que o paciente possuía metástases dérmicas em trânsito residuais progressivas no local do enxerto, para o qual foi iniciado o tratamento com cemiplimabe (Figura 2). O início do tratamento com cemiplimabe exigiu a suspensão do uso de tacrolimus e o início do uso de sirolimus. O paciente recebeu dois ciclos de cemiplimabe. Infelizmente, o paciente apresentou-se ao serviço de emergência com rejeição ao enxerto secundária a cemiplimabe. O paciente foi colocado em hemodiálise e o uso de cemiplimabe foi suspenB A

Figura 1: A - Apresentação clínica inicial e histologia de biópsia de região central da testa mostrando depósito dérmico de carcinoma pouco diferenciado. B - Apresentação clínica inicial e histologia de biópsia de região central da testa mostrando depósito dérmico de carcinoma pouco diferenciado.

Figura 2: Metástases dérmicas em trânsito residuais progressivas no local do enxerto 2 meses após a cirurgia

Figura 3: 5 meses após a cirurgia e 2 ciclos de cemiplimabe, sem evidência de recorrência.

so. Um PET-CT recente não revelou doença passível de avaliação evidente. O paciente não tinha sinais clínicos de recorrência em seu seguimento mais recente (Figura 3).

DISCUSSÃO

Os receptores de transplante de órgão sólido que recebem terapia imunossupressora crônica têm risco significativamente maior de desenvolverem carcinoma espinocelular cutâneo, representando 40% de todas as neoplasias malignas em receptores de transplantes de órgãos. O cemiplimabe é um anticorpo monoclonal anti-PD-1 que apresentou respostas significativas em pacientes com carcinoma espinocelular cutâneo localmente

avançado ou metastático e se tornou uma das bases do tratamento. Hanna et al. informam que não foram observados eventos de rejeição ao enxerto renal durante um estudo de fase I do cemiplimabe para receptores de transplante renal com carcinoma espinocelular avançado quando combinado com corticoides em pulsoterapia e inibidores de mTOR. Cui et al. relatam que os índices de rejeição em transplantes de órgãos sólidos podem chegar a 40% para a monoterapia com agentes anti-PD-L1 e sugerem que a expressão positiva de PD-L1 na biópsia do enxerto pode ser um marcador eficaz para prever a rejeição do transplante. l

Russel N, Srikakolapu S, Scribner J.

REFERÊNCIAS:

1. Hanna GJ, Dharanesswaran H, Giobbie-Hurder A, Harran JJ, Liao Z, Pai L, et al. Cemiplimab for kidney transplant recipients with advanced cutaneous squamous cell carcinoma. J Clin Oncol. 2024;42(9):1021-30.

2. Cui X, Yan C, Xu Y, Li D, Guo M, Sun L, et al. Allograft rejection following immune checkpoint inhibitors in solid organ transplant recipients: a safety analysis from a literature review and a pharmacovigilance system. Cancer Med. 2023;12(5):5181-94.

CONTRIBUIÇÃO DOS AUTORE:

Nicole Russell 0009-0009-3745-6902

Concepção e planejamento do estudo; Elaboração e redação do manuscrito; Obtenção, análise e interpretação dos dados; Participação efetiva na orientação da pesquisa; Participação intelectual em conduta propedêutica e/ou terapêutica de casos estudados; Revisão crítica da literatura.

Siddharth Srikakolapu 0000-0002-2606-1042

Aprovação da versão final do manuscrito; Elaboração e redação do manuscrito.

Jane Scribner

Aprovação da versão final do manuscrito.

www.surgicalcosmetic.org.br/

Reconstrução de região malar medial e pálpebra inferior com retalho de McGregor após

exérese de carcinoma basocelular

pigmentado

Reconstruction of the medial malar region and lower eyelid with a McGregor flap after resection of pigmented basal cell carcinoma

DOI: http://www.dx.doi.org/10.5935/scd1984-8773.2025170420

RESUMO

O carcinoma basocelular é o câncer de pele mais comum, ocorrendo com maior frequência na região de cabeça e pescoço. Apresentamos o caso de um paciente do sexo masculino, 47 anos, com carcinoma basocelular pigmentado na região malar medial direita. Após biópsia confirmatória, a lesão foi excisada com margem de segurança de 5 mm, abrangendo a pálpebra inferior. Optou-se pela reconstrução com retalho de McGregor, técnica que possibilita bom avanço dos tecidos sem tensão, minimizando o risco de complicações. O paciente evoluiu sem complicações, com resultados oncológicos, estéticos e funcionais satisfatórios, demonstrando ser uma abordagem eficaz para reconstruções complexas na região periocular. Palavras-chave: Carcinoma Basocelular; Retalhos Cirúrgicos; Dermatologia; Oncologia Cirúrgica; Face; Neoplasias Cutâneas

Relato de Caso

Autores:

Luiz Roberto Dal Bem Pires Júnior1

Carlos Augusto Silva Bastos1

Rafaella Castilho1

Waleska Ramos Alvim Lescowicz1

Karina Fernanda Bortoloto Predolin1

Laurenlisiê Lourega Heitling Brittes1

1 Hospital de Clínicas da Universidade Federal do Paraná, Dermatologia, Curitiba (PR), Brasil

Correspondência:

Luiz Roberto Dal Bem Pires Júnior E-mail: lrdalbem@gmail.com / ldalbem@ymail.com

Fonte de financiamento: Nenhuma. Conflito de interesses: Nenhum.

Data de submissão: 05/11/2024 Decisão final: 28/01/2025

ABSTRACT

Basal cell carcinoma is the most common skin cancer, most often found in the head and neck region.We present the case of a 47-year-old male patient with pigmented basal cell carcinoma in the right medial malar region. After confirmatory biopsy, the lesion was excised with a 5 mm safety margin, extending to the lower eyelid. Reconstruction was performed using the McGregor flap, a technique that enables effective tissue advancement with minimal tension, minimizing the risk of complications. The patient had an uncomplicated recovery with satisfactory oncologic, aesthetic, and functional outcomes, demonstrating the technique’s efficacy in complex periocular reconstructions.

Keywords: Carcinoma, Basal Cell; Surgical Flaps; Dermatology; Surgical Oncology; Face; Skin Neoplasms

Como citar este artigo: Pires Júnior LRDB, Bastos CAS, Castilho R, Lescowicz WRA, Predolin KFB, Brittes LLH. Reconstrução de região malar medial e pálpebra inferior com retalho de McGregor após exérese de carcinoma basocelular pigmentado. Surg Cosmet Dermatol. 2025;17:e20250420.

Pires Júnior LRDB, Bastos CAS, Castilho R, Lescowicz WRA, Predolin KFB, Brittes LLH

INTRODUÇÃO

O carcinoma basocelular (CBC) é a neoplasia maligna mais comum no mundo, sendo responsável pela maioria dos casos de câncer de pele.1 O tipo nodular é o mais prevalente, comumente localizado na região da cabeça e pescoço.2 Além disso, a incidência de CBC aumenta anualmente e, no Brasil, conforme estimativas do Instituto Nacional de Câncer (INCA) para o triênio 2023-2025, são esperados 101.920 novos casos em homens e 118.520 em mulheres.3 Embora o CBC tenha baixo potencial de metástase (0,03%), ele é localmente invasivo,3 o que pode comprometer as estruturas ao redor da lesão. Entre os casos de CBC, apenas cerca de 6% correspondem ao tipo pigmentado,4 oque torna o diagnóstico diferencial com outras lesões pigmentadas, como nevos intradérmicos, hiperplasia sebácea, tricoepitelioma e melanoma, ainda mais relevante.5

A região malar é considerada uma das áreas de maior importância estética da face, além de estar entre as mais acometidas por CBC. Ela é dividida em quatro subunidades anatômicas: medial, lateral, zigomática e bucal. As características da pele variam gradualmente entre essas subunidades.6 A porção medial é delimitada pela pálpebra inferior, epicanto medial, sulco nasofacial, área perialar e parte superior do sulco nasogeniano. Sua proximidade com áreas de alto risco de complicações, como a pálpebra inferior, torna o planejamento cirúrgico um desafio, exigindo técnicas que garantam mínima tensão, cicatrizes pouco visíveis e que respeitem as linhas naturais da pele, camuflando as incisões de forma eficiente em uma região tão delicada e heterogênea.7

RELATO DE CASO

Paciente masculino, 47 anos, sem comorbidades e sem história pessoal ou familiar de neoplasia cutânea, foi encaminhado pela atenção primária devido a uma pápula pigmentada de aproximadamente 1 cm na região malar medial superior direita, com relato de crescimento rápido (Figura 1). A dermatoscopia da lesão revelou vasos arboriformes, padrão em arco-íris, ninhos ovoides azul-acinzentados e glóbulos azuis, achados compatíveis com CBC pigmentado (Figura 2), o que foi confirmado por biópsia incisional.

A partir disso, foi planejado o tratamento cirúrgico. Após a exérese da lesão com margem de segurança de 5 mm, a ferida operatória passou a incluir a pálpebra inferior, motivo pelo qual se optou pela reconstrução com retalho de McGregor (Figura 3). A técnica consiste em uma incisão lateral que acompanha a curvatura da pálpebra, podendo estender-se até a região anterior à linha de implantação capilar pré-auricular, de acordo com a largura do defeito a ser coberto. No caso do paciente deste relato, não foi necessário prolongar a incisão principal. A curvatura da incisão é essencial para conferir um comprimento vertical adequado ao retalho.

A zetaplastia foi realizada na extremidade lateral da incisão, sendo a largura do defeito correspondente ao ramo central do “Z”. Os ramos descendente e ascendente possuem o mesmo comprimento do ramo central e formam um ângulo de 60 graus

direito

com ele, o que facilita o deslocamento do retalho. A dissecção foi realizada no plano subcutâneo, permitindo o avanço do retalho e sua consequente transposição na zetaplastia, culminando no fechamento do defeito após compensação com triângulo de Burow perpendicular à linha de incisão principal. A sutura foi realizada com Vycril 5.0 e Nylon 6.0 (Figura 4).

O paciente evoluiu bem, sem complicações ou queixas, com resultados funcionais, oncológicos e estéticos satisfatórios (Figuras 5 e 6).

Figura 1: Macroscopia do carcinoma basocelular pigmentado em malar

3: Planejamento cirúrgico –técnica de retalho

DISCUSSÃO

4: Pósoperatório imediato –técnica de retalho de McGregor

Nos casos de CBC de alto risco, categoria que inclui opresente relato devido à localização, as principais opções terapêuticas são cirúrgicas, ficando a radioterapia reservada para pacientes que não podem ser submetidos à cirurgia. A ressecção padrão, com avaliação das margens cirúrgicas por exame histopatológico, é prática comum no Brasil. Para esses procedimentos, margens de 4 a 6 mm, podendo chegar a 8 mm, são delineadas ao redor do tumor visível, sendo o estudo anatomopatológico realizado posteriormente.8

A cirurgia deve seguir os princípios da oncologia, tendo como objetivo principal a completa remoção do tumor. Entretanto, ao planejar intervenções perioculares, é crucial considerar a preservação da funcionalidade, de modo a otimizar os resultados oncológicos, funcionais e estéticos.9

Na reconstrução da pálpebra inferior, os retalhos de rotação são tradicionalmente eficazes devido ao seu vetor horizontal, que minimiza o risco de ectrópio e de distorção cantal no pós-operatório.10 Desde a técnica de retalho cutâneo de rotação

Figura 2: Dermatoscopia do carcinoma basocelular pigmentado
Figura
de McGregor
Figura

5: 10º dia pósoperatório

Figura 6: 7 meses de pósoperatório

lateral da região malar, proposta por Mustardé em 1966, diversas outras foram desenvolvidas com base no avanço da pele lateral da face em direção medial para corrigir defeitos na pálpebra inferior. Geralmente, há flacidez da pele na região lateral da face, e esse avanço é limitado; sem medidas que reduzam a tensão no retalho, ele tende a retornar à posição original no pós-operatório.11

Em 1973, McGregor introduziu uma técnica para correção de defeitos da pálpebra inferior que envolve a zetaplastia periorbital lateral, permitindo o avanço dos tecidos em direção medial e aliviando a tensão no retalho de avanço. Essa abordagem representa uma excelente alternativa no arsenal reconstruti-

vo para defeitos complexos da pálpebra inferior. Originalmente, foi indicada para a reconstrução de defeitos em forma de V que acometem até dois terços da largura da pálpebra, sendo aplicável tanto à pálpebra inferior quanto à superior. Após 15 anos de prática dessa técnica, McGregor relatou resultados cirúrgicos positivos, com cicatrizes de boa qualidade e preservação do aspecto natural do canto lateral da pálpebra.12 No presente relato, essa técnica foi utilizada com sucesso na reconstrução da pálpebra inferior e da região malar medial, resultando em desfecho satisfatório e configurando-se como uma alternativa no arsenal de técnicas cirúrgicas. l

Júnior LRDB, Bastos CAS, Castilho R, Lescowicz WRA, Predolin KFB, Brittes LLH
Figura

REFERÊNCIAS:

1. Kim JYS, Kozlow JH, Mittal B, Moyer J, Olencki T, Rodgers P. Guideline of care for the management of basal cell carcinoma. J Am Acad Dermatol. 2018;78(3):540-59.

2. Basset-Seguin N, Herms F. Update in the management of basal cell carcinoma. Acta Derm Venereol. 2020;100(11):adv00140.

3. Instituto Nacional de Câncer (INCA). Estimativa de câncer no Brasil 2023-2025 [Internet]. Disponível em: https://www.gov.br/inca/pt-br/ assuntos/cancer/numeros/estimativa/estado- capital/brasil.

4. Cameron MC, Lee E, Hibler BP, Barker CA, Mori S, Cordova M, et al. Basal cell carcinoma: epidemiology; pathophysiology; clinical and histological subtypes; and disease associations. J Am Acad Dermatol. 2019;80(2):303-17.

5. Kim DP, Kus KJB, Ruiz E. Basal cell carcinoma review. Hematol Oncol Clin North Am. 2019;33(1):13–24.

6. Sanchez FLE. Manejo dos tumores perioculares com cirurgia micrográfica de Mohs. Surg Cosmet Dermatol. 2014;6(4):226-32.

7. Patel BCK. Surgical Eyelid and Periorbital Anatomy. Semin Ophthalmol. 1996;11(2):118-37.

8. National Comprehensive Cancer Network® (NCCN®). Guidelines Version 2.2022; 24 de março de 2022.

9. Cerci FB, Fantini BC. Retalhos e enxertos em cirurgia micrográfica de Mohs. São Paulo: Editora Atheneu; 2022.

10. Harris J, Perez N. Anchored flaps in post-Mohs reconstruction of the lower eyelid, cheek, and lateral canthus: avoiding eyelid distortion. Ophthalmic Plast Reconstr Surg. 2003;19(1):5 - 13.

11. Mustardé JC. The use of flaps in the orbital region. Plast Reconstr Surg. 1970;45(2):146-50.

12. McGregor IA. Eyelid reconstruction following subtotal resection of upper or lower lid. Br J Plast Surg. 1973;26(4):346-54.

CONTRIBUIÇÃO DOS AUTORES:

Luiz Roberto Dal Bem Pires Júnior

0009-0001-6728-420X

Aprovação da versão final do manuscrito; concepção e planejamento do estudo; elaboração e redação do manuscrito; participação efetiva na orientação da pesquisa; participação intelectual em conduta propedêutica e/ou terapêutica de casos estudados; revisão crítica da literatura; revisão crítica do manuscrito.

Carlos Augusto Silva Bastos

Concepção e planejamento do estudo.

Rafaella Castilho

0000-0003-0255-2696

0009-0003-1437-2024

Revisão crítica da literatura; revisão crítica do manuscrito.

Waleska Ramos Alvim Lescowicz

Revisão crítica da literatura.

Karina Fernanda Bortoloto Predolin

Revisão crítica do manuscrito.

Laurenlisiê Lourega Heitling Brittes

0000-0002-0106-1097

0009-0003-2745-7481

0009-0004-9918-087X Revisão crítica da literatura.

www.surgicalcosmetic.org.br/

Ultrassom para uma melhor abordagem cirúrgica na hidradenite supurativa

Ultrasound for a better surgical approach in hidradenitis suppurativa

Relato de caso

Autores:

Fernando Bulla-Alcala1

Claudia González2

Sara Cataño3

Juan Felipe Ochoa-Bermudez4

1 Univesidad el Bosque, Dermatologia, Bogotá, Colômbia

2 Access Medical Center, Radiologia, Bogotá, Colômbia

3 Pontificia Universidad Javeriana, Dermatologia, Bogotá, Colômbia

DOI: http://www.dx.doi.org/10.5935/scd1984-8773.2025170433

RESUMO

A hidradenite supurativa (HS) é uma doença inflamatória crônica que afeta áreas intertriginosas, caracterizada por nódulos dolorosos, abscessos, trajetos sinuosos e fístulas. A cirurgia é fundamental no tratamento, sendo potencialmente curativa e alcançando alta satisfação. Porém, avaliações pré-cirúrgicas enfrentam limitações para identificar trajetos fistulosos e nódulos profundos. O ultrassom surgiu como ferramenta para estadiamento, monitoramento, avaliação de resposta ao tratamento e planejamento pré-operatório, permitindo localizar lesões subclínicas e otimizar resultados cirúrgicos. Este estudo apresenta dois casos ilustrativos que demonstram a utilidade da ultrassonografia na avaliação pré-cirúrgica em pacientes com HS.

Palavras-chave: Hidradenite Supurativa; Ultrassonografia Doppler; Procedimentos Cirúrgicos Ambulatórios

4 Fundación Universitaria Sanitas, Dermatologia, Bogotá, Colômbia

ABSTRACT

Hidradenitis suppurativa (HS) is a chronic inflammatory disease affecting intertriginous areas of the body, characterized by painful nodules, abscesses, sinusoidal tracts, and fistulas. Surgery is crucial for treatment, being potentially curative and achieving high satisfaction levels. Pre-surgical evaluations are often limited by the difficulty of detecting fistulous tracts and deep nodules. Ultrasound has emerged as a staging, follow-up, treatment response evaluation, and preoperative management method for HS. It enables accurate localization of subclinical lesions and optimizes surgical results. This report presents two representative cases of pre-surgical ultrasound evaluation in HS.

Keywords: Hidradenitis Suppurativa; Ultrasonography, Doppler; Outpatient Surgical Procedures

Correspondência:

Juan Felipe Ochoa-Bermudez E-mail: juanfelipeochoab@gmail.com

Fonte de financiamento: Nenhuma

Conflito de interesse: Nenhum

Data de submissão: 28/12/2024

Decisão final: 30/01/2025

Como citar este artigo: Bulla-Alcala F, González C, Cataño S, Ochoa-Bermudez JF. Ultrassom para uma melhor abordagem cirúrgica na hidradenite supurativa. Surg Cosmet Dermatol. 2025;17:e20250433.

F, González C, Cataño S, Ochoa-Bermudez JF

INTRODUÇÃO

A hidradenite supurativa (HS) é uma doença inflamatória crônica caracterizada por nódulos dolorosos, abscessos, trajetos sinuosos e fístulas, e afeta principalmente regiões intertriginosas, como as axilas e a virilha.1,2 O tratamento é abrangente, incluindo antibióticos, retinoides, antibioticoterapia e intervenções cirúrgicas.3 A cirurgia permanece fundamental, pois é a única opção potencialmente curativa e atinge altos níveis de satisfação, independentemente da gravidade da doença.4

Diversos sistemas de classificação são utilizados para avaliar a gravidade da HS. O mais amplamente reconhecido é a Escala de Hurley, que estadia a doença em três níveis.2 Contudo, as classificações tradicionais têm limitações, incluindo a avaliação imprecisa da inflamação.5,6 Para resolver essas questões, novas escalas foram desenvolvidas. A escala de Hurley Modificada avalia a área de envolvimento da superfície corporal, inflamação e lesões migratórias,7 enquanto o IHS4 (International Hidradenitis Suppurativa Severity Score System) avalia dinamicamente nódulos, abscessos e trajetos fistulosos ao longo do tempo.5,6

O exame físico de pacientes com HS tem limitações, pois trajetos fistulosos e nódulos profundos muitas vezes não podem ser detectados apenas por palpação.7 Essa limitação pode levar a tratamentos médicos e cirúrgicos inadequados.7-11 Os exames de imagem enfrentam esses desafios ao esclarecer a morfologia e gravidade da lesão, registrar a evolução da doença e auxiliar no mapeamento pré-cirúrgico.12 Os métodos de imagem incluem ultrassonografia e RM.13-15 A ultrassonografia de alta resolução com estudo de Doppler é particularmente eficaz, permitindo a detecção segura e precisa de lesões subclínicas e inflamação ativa. Hoje, ela é considerada a conduta padrão para diagnóstico, estadiamento e localização pré-operatória de lesões-alvo em HS.7,16-23

MÉTODO

Apresentamos dois casos de pacientes tratados em um Centro de Cirurgia Dermatológica em Bogotá, Colômbia. Ambos os pacientes, diagnosticados com HS encaminhados para intervenção cirúrgica, foram submetidos a ultrassonografia de alta frequência para localização e marcação da lesão. Foi obtido o consentimento informado.Casos Clínicos

Caso 1

Uma mulher de 25 anos com HS grave (Hurley estágio III; IHS4: 19 pontos) foi tratada com uma combinação de tratamento médico (antibióticos orais) e cirurgia. A ultrassonografia pré-operatória identificou edema dérmico isolado, dilatação folicular, nódulos císticos e fístulas nas regiões inguinais bilaterais. Uma fístula complexa tipo II se estendia da região inguinal direita distal até a coxa proximal, enquanto uma fístula tipo III foi observada na região inguinal esquerda. A marcação guiada por ultrassonografia das lesões-alvo facilitou a ressecção cirúrgica (Figura 1). Seis meses após o procedimento, a paciente apresentava cicatrização adequada, sem recorrência.

Caso 2

Uma mulher de 58 anos com HS nas regiões inguinal, interglútea e glútea tinha histórico de tratamento biológico e múltiplas ressecções cirúrgicas. A ultrassonografia pré-operatória identificou uma fístula tipo III com fibrose significativa na nádega direita proximal e uma fístula tipo II com fibrose leve e edema na dobra infraglútea. A marcação das lesões garantiu a ressecção cirúrgica precisa (Figura 2). Os desfechos pós-operatórios foram bem-sucedidos, sem complicações ou recorrência no seguimento de um ano.

RESULTADOS

Desfechos pós-operatórios satisfatórios foram obtidos para ambas as pacientes, o que demonstra a eficácia da ressecção cirúrgica guiada por ultrassonografia em melhorar a precisão cirúrgica e reduzir a recorrência.

DISCUSSÃO

O planejamento pré-cirúrgico baseado exclusivamente em parâmetros clínicos muitas vezes subestima a extensão e a gravidade das lesões de HS.22 O exame visual e a palpação não conseguem identificar lesões profundas ou subclínicas, o que resulta em margens cirúrgicas incompletas e maior risco de recorrência.7,23 Os exames de imagem, especialmente a ultrassonografia, tratam essas limitações por meio do fornecimento de informações detalhadas sobre os limites, atividades subclínicas e gravidade das lesões.7,18 A ultrassonografia de alta resolução com estudo de Doppler é particularmente útil para o estadiamento da doença, monitoramento da resposta ao tratamento e orientação do planejamento pré-operatório.7,18,24-26

A modified Sonographic Scoring of Hidradenitis Suppurativa (mSOS-HS) é uma ferramenta validada para o estadiamento de HS com base em achados ultrassonográficos27:

O Estágio I inclui uma coleta de fluido e alterações na derme, como pseudocistos ou dilatações foliculares.

O Estágio II envolve duas a quatro coletas de fluidos ou um trajeto fistuloso com alterações dérmicas que afetam até dois segmentos corporais.

O Estágio IIIA envolve cinco ou mais coletas de fluido ou múltiplos trajetos fistulosos, enquanto o Estágio IIIB envolve fístulas extensas, bilaterais ou interconectadas.

A ultrassonografia também categoriza as fístulas em três tipos, com base em fibrose e edema25:

1. Tipo I: Fibrose mínima e edema baixo.

2. Tipo II: Fibrose moderada e edema baixo.

3. Tipo II: Fibrose grave e edema significativo.

Detectar a fibrose é particularmente importante, pois lesões fibróticas têm menor probabilidade de resposta à terapia medicamentosa.25,28 Esses casos muitas vezes requerem uma combinação de tratamento médico e cirúrgico.18 Ao delimitar as lesões subclínicas e determinar a profundidade da fístula, a

Surg Cosmet Dermatol. 2025;v.17: n.3 jul-sep. p.357-61.

Figura 1: A - Ultrassom de alta resolução com transdutor linear “taco de golfe” de 18-24 MHz do terço interno da coxa direita mostrando estrutura tubular e alongada, com bordas bem definidas, correspondente a uma fístula Tipo II com fibrose na parede. Os asteriscos (**) indicam um trajeto piloso monofilamentar retido na fístula. O paquímetro verde (+) delimita a espessura da fístula, que se estende até a fáscia muscular (m), enquanto o paquímetro laranja indica o comprimento da fístula. B - Ultrassom de alta resolução com transdutor linear “taco de golfe” de 18-24 MHz do terço interno da coxa esquerda mostrando estrutura tubular e alongada, com bordas bem definidas, correspondente a uma fístula Tipo III com fibrose na parede e edema na periferia. Os asteriscos (**) indicam um trajeto piloso monofilamentar retido na fístula. O paquímetro verde (+) delimita a espessura da fístula, que se estende até a fáscia (f) do músculo (m), enquanto o paquímetro laranja indica o comprimento da fístula. C - Marcação de fístula e nódulo. D - Ressecção cirúrgica guiada por marcação ultrassonográfica prévia.

A

B

C

D

Figura 2: A - Ultrassom de alta resolução com transdutor linear “taco de golfe” de 18-24 MHz do aspecto externo da nádega esquerda mostrando estrutura tubular e alongada, com bordas bem definidas, correspondente a uma fístula Tipo III com fibrose na parede e edema na periferia, localizada na derme profunda-hipoderme. O paquímetro B + delimita a espessura da fístula e o paquímetro A + indica seu comprimento real. O paquímetro C + mede a profundidade da fístula desde a epiderme (e) até o plano mais profundo do tecido subcutâneo. Derme (d). B - Imagem ampliada em Doppler colorido de parte da fístula descrita em A mostrando um componente vascularizado importante dentro da fístula, consistente com um processo inflamatório ativo da doença. C - Lesões marcadas por ultrassonografia na região glútea direita. D - Ressecção cirúrgica guiada por marcação ultrassonográfica prévia.

F, González C, Cataño S, Ochoa-Bermudez JF

ultrassonografia melhora significativamente a precisão cirúrgica.7,17,18,24-27

Determinados fatores do paciente aumentam a probabilidade de margens cirúrgicas inadequadas, incluindo obesidade, sexo masculino, doença Hurley Estágio II e escores IHS4 elevados.23 Esses pacientes são os que mais se beneficiam da ultrassonografia pré-operatória, pois esta melhora a localização da lesão, reduz os índices de recorrência e otimiza os desfechos cirúrgicos.7,18,24-26 Estudos mostram que procedimentos cirúrgicos guiados por ultrassonografia melhoram a delimitação da margem e reduzem a recorrência até 24 semanas de pós-operatório.23

Nos casos apresentados neste relato, ressecções locais amplas guiadas por ultrassonografia garantiram a remoção total da lesão e a cicatrização bem-sucedida no pós-operatório. A ultrassonografia forneceu informações pré-operatórias detalhadas,

detectando lesões subclínicas e orientando a ressecção precisa, o que minimizou a recorrência e melhorou os desfechos.

CONCLUSÃO

A HS é uma doença crônica que gera demandas significativas para o médico assistente devido ao seu manejo complexo. A cirurgia é fundamental, sendo a única intervenção potencialmente curativa. A ultrassonografia de alta frequência tem um papel inestimável no planejamento pré-operatório, permitindo a detecção de lesões subclínicas, o mapeamento preciso das lesões e a melhoria dos desfechos cirúrgicos. Incorporar a ultrassonografia ao manejo padrão da HS aumenta a eficácia do tratamento, reduz a recorrência e garante o melhor atendimento ao paciente. l

REFERÊNCIAS:

1. Lyons A, Zubair R, Kohli I, Hamzavi I. Preoperative ultrasound for evaluation of hidradenitis suppurativa. Dermatol Surg. 2019;45(2):294–6.

2. Goldburg SR, Strober BE, Payette MJ. Hidradenitis suppurativa: epidemiology, clinical presentation, and pathogenesis. J Am Acad Dermatol. 2020;82(5):1045–58.

3. Martorell A, García FJ, Jiménez-Gallo D, Pascual JC, Pereyra-Rodríguez J, Salgado L, et al. Update on hidradenitis suppurative (Part II): treatment. Actas Dermosifiliogr. 2015;106(9):716–24.

4. Fertitta L, Hotz C, Wolkenstein P, Méningaud JP, Sawan D, Hersant B, et al. Efficacy and satisfaction of surgical treatment for hidradenitis suppurativa. J Eur Acad Dermatol Venereol. 2020;34(4):839–45.

5. Zouboulis CC, Tzellos T, Kyrgidis A, Jemec GBE, Bechara FG, Giamarellos- Bourboulis EJ, et al. Development and validation of the International Hidradenitis Suppurativa Severity Score System (IHS4), a novel dynamic scoring system to assess HS severity. Br J Dermatol 2017;177(5):1401–9.

6. Horváth B, Janse IC, Blok JL, Driessen RJB, Boer J, Mekkes JR, et al. Hurley staging refined: a proposal by the Dutch hidradenitis suppurativa expert group. Acta Derm Venereol 2017;97(3):412–3.

7. Martorell A, Alfageme Roldán F, Vilarrasa Rull E, Ruiz-Villaverde R, Romaní De Gabriel J, García Martínez F, et al. Ultrasound as a diagnostic and management tool in hidradenitis suppurativa patients: a multicentre study. J Eur Acad Dermatol Venereol. 2019;33(11):2137–42.

8. Wortsman X, Castro A, Figueroa A. Color Doppler ultrasound assessment of morphology and types of fistulous tracts in hidradenitis suppurativa (HS). J Am Acad Dermatol 2016;75(4):760–7.

9. Napolitano M, Calzavara-Pinton PG, Zanca A, Bianchi L, Caposiena Caro RD, Offidani AM, et al. Comparison of clinical and ultrasound scores in patients with hidradenitis suppurativa: results from an Italian ultrasound working group. J Eur Acad Dermatol Venereol. 2019;33(2):e84–7.

10. Gutfilen-Schlesinger G, Lopes De Souza SA, Gutfilen B. Should we scan hidradenitis suppurativa patients? A systematic review of radiologic findings. Adv Skin Wound Care. 2021;34(7):1–10.

11. Lyons AB, Narla S, Kohli I, Zubair R, Nahhas AF, Braunberger TL, et al. Assessment of inter-rater reliability of clinical hidradenitis suppurativa outcome measures using ultrasonography. Clin Exp Dermatol. 2022;47(2):319–24.

12. Mendes-Bastos P, Martorell A, Bettoli V, Matos AP, Muscianisi E, Wortsman X. The use of ultrasound and magnetic resonance imaging in the management of hidradenitis suppurativa: a narrative review. Br J Dermatol 2023;188(5):591–600.

13. Lopes AA, Moraes GN, De Lima Dias BMM, De Souza GD, De Souza LQ. Preoperative imaging assessment of hidradenitis suppurativa. Rev Bras Cir Plast. 2019;34(2):264–7.

14. Wortsman X, Jemec GBE. A 3D ultrasound study of sinus tract formation in hidradenitis suppurativa. Dermatol Online J. 2013;19(6):18564.

15. Elkin K, Daveluy S, Avanaki K. Hidradenitis suppurativa: current understanding, diagnostic and surgical challenges, and developments in ultrasound application. Skin Res Technol 2020;26(1):11–9.

16. Marasca C, Marasca D, Megna M, Annunziata M, Fabbrocini G. Ultrasound: an indispensable tool to evaluate the outcome of surgical approaches in patients affected by hidradenitis suppurativa. J Eur Acad Dermatol Venereol. 2020;34(8):413–4.

17. Martorell A, Wortsman X, Alfageme F, Roustan G, Arias-Santiago S, Catalano O, et al. Ultrasound evaluation as a complementary test in Hidradenitis Suppurativa: proposal of a standarized report. Dermatol Surg. 2017;43(8):1065–73.

18. Wortsman X. Color Doppler ultrasound: a standard of care in hidradenitis suppurativa. J Eur Acad Dermatol Venereol 2020;34(10):e616–7.

19. Lacarrubba F, Dini V, Napolitano M, Venturini M, Caposiena Caro DR, Molinelli E, et al. Ultrasonography in the pathway to an optimal standard of care of hidradenitis suppurativa: the Italian Ultrasound Working Group experience. J Eur Acad Dermatol Venereol. 2019;33(Suppl 6):10–4.

20. Wortsman X, Moreno C, Soto R, Arellano J, Pezo C, Wortsman J. Ultrasound in-depth characterization and staging of hidradenitis suppurativa. Dermatol Surg. 2013;39(12):1835–42.

21. Wortsman X, Rodriguez C, Lobos C, Eguiguren G, Molina MT. Ultrasound diagnosis and staging in pediatric hidradenitis suppurativa. Pediatr Dermatol. 2016;33(4):e260–4.

22. Wortsman X. Imaging of Hidradenitis Suppurativa. Dermatol Clin. 2016;34(1):59–68.

23. Cuenca-Barrales C, Salvador-Rodríguez L, Arias-Santiago S, Molina-Leyva A. Preoperative ultrasound planning in the surgical management of patients with hidradenitis suppurativa. J Eur Acad Dermatol Venereol. 2020;34(10):2362–7.

24. Wortsman X, Calderon P, Castro A. Seventy-MHz Ultrasound detection of early signs linked to the severity, patterns of keratin fragmentation, and mechanisms of generation of collections and tunnels in Hidradenitis Suppurativa. J Ultrasound Med. 2020;39(5):845–57.

25. Reyes-Baraona F, Isabel Herane M, Wortsman X, Figueroa A, García-huidobro I, Giesen L, et al. Guía clínica chilena para el estudio y tratamiento de hidradenitis supurativa. Rev Med Chile. 2021;149(artículo especial):1620-35.

26. Wortsman X. Strong validation of ultrasound as an imaging biomarker in hidradenitis suppurativa. Br J Dermatol. 2021;184(4):591–2.

27. Wortsman X. Update on ultrasound diagnostic criteria and new ultrasound severity and activity scorings of Hidradenitis Suppurativa. J Ultrasound Med. 2024;43(1):207–13.

28. Andersen RK, Jemec GB. Treatments for hidradenitis suppurativa. Clin Dermatol. 2017;35(2):218-24.

CONTRIBUIÇÃO DOS AUTORES:

Fernando Bulla-Alcala 0000-0001-6013-8608

Aprovação da versão final do manuscrito; Concepção e planejamento do estudo; Elaboração e redação do manuscrito; Participação efetiva na orientação da pesquisa; Participação intelectual em conduta propedêutica e/ou terapêutica de casos estudados; Revisão crítica da literatura; Revisão crítica do manuscrito

Claudia González 0000-0003-2618-308X

Aprovação da versão final do manuscrito; Concepção e planejamento do estudo; Elaboração e redação do manuscrito; Participação efetiva na orientação da pesquisa; Participação intelectual em conduta propedêutica e/ou terapêutica de casos estudados; Revisão crítica da literatura; Revisão crítica do manuscrito

Sara Cataño 0000-0001-5183-6973

Aprovação da versão final do manuscrito; Concepção e planejamento do estudo; Elaboração e redação do manuscrito; Participação efetiva na orientação da pesquisa; Participação intelectual em conduta propedêutica e/ou terapêutica de casos estudados; Revisão crítica da literatura; Revisão crítica do manuscrito

Juan Felipe Ochoa-Bermudez 0000-0003-0038-4692

Aprovação da versão final do manuscrito; Elaboração e redação do manuscrito; Obtenção, análise e interpretação dos dados; Participação efetiva na orientação da pesquisa; Participação intelectual em conduta propedêutica e/ou terapêutica de casos estudados; Revisão crítica da literatura; Revisão crítica do manuscrito

www.surgicalcosmetic.org.br/

Fibroqueratoma digital adquirido de localização atípica

Atypical location of acquired digital fibrokeratoma

Relato de caso

Autores:

André Martins Ornelas1,2

Clarissa Brito Farias2

Isabelle Sousa Medeiros Torres Ferreira3 Flauberto de Sousa Marinho2

1 Hospital das Clínicas - UFPE, Serviço de Dermatologia, Recife (PE), Brasil

2 Faculdade de Medicina Nova Esperança, Serviço de Dermatologia, João Pessoa (PB), Brasil

DOI: http://www.dx.doi.org/10.5935/scd1984-8773.2025170435

RESUMO

O fibroqueratoma digital adquirido é um tumor raro, benigno, de natureza fibroepitelial, que se apresenta como pápula normocrômica em forma de dedo, localizado tipicamente nas extremidades. Quando acomete as unhas, costuma emanar da prega proximal, raramente surgindo a partir da matriz ou do leito ungueal. Neste relato, descrevemos um caso incomum de fibroqueratoma digital adquirido localizado sob a placa ungueal de polegar direito. Descrevemos os aspectos clínicos, dermatoscópicos e histopatológicos da lesão, bem como o tratamento cirúrgico empregado, e apresentamos uma breve revisão bibliográfica sobre o assunto.

Palavras-chave: Fibroma; Doenças da unha; Unhas; Neoplasias cutâneas

ABSTRACT

Acquired digital fibrokeratoma is a rare, benign, fibroepithelial tumor, which commonly presents as a finger-shaped normochromic nodule, typically located at the extremities.When affecting the nails, it usually emanates from the proximal nail fold, rarely arising from the matrix or nail bed. In this report, we describe an unusual case of acquired digital fibrokeratoma located under the nail plate of the right thumb. We describe the clinical, dermoscopic, and histopathological aspects of the lesion, as well as the surgical treatment used, and present a brief literature review on the subject. Keywords: Nail Diseases; Fibroma; Nails; Skin Neoplasms

Correspondência:

André Martins Ornelas E-mail: andre-ornelas@hotmail.com

Fonte de financiamento: Nenhuma Conflito de interesses: Nenhum

Data de Submissão: 17/01/2025

Decisão final: 05/06/2025

How to cite this article:

How to cite this article: Ornelas AM, Farias CB, Ferreira ISMT, Marinho FS. Atypical location of acquired digital fibrokeratoma. Surg Cosmet Dermatol. 2025;17:e20250435.

INTRODUÇÃO

O fibroqueratoma digital adquirido (FQDA) é um tumor benigno incomum, tipicamente observado nas unhas das mãos ou dos pés. Sua etiologia não está completamente esclarecida, sendo o trauma considerado um possível desencadeador. Clinicamente, apresenta-se como uma pápula única, assintomática, em formato de dedo (finger-like) ou de domo, podendo ocasionar deformidades ungueais e prejuízo estético. O diagnóstico fundamenta-se em aspectos histopatológicos típicos, incluindo acantose, hiperqueratose e abundante tecido fibroso. Tendo em vista que o tumor não sofre involução espontânea, o tratamento cirúrgico costuma ser habitualmente indicado.

O objetivo deste artigo é relatar um caso de FQDA originado na matriz ungueal do polegar direito, uma ocorrência menos comum em comparação com a emergência habitual na borda ungueal proximal ou no leito ungueal. Apresentamos uma análise detalhada dos aspectos clínicos, dermatoscópicos e histopatológicos da lesão, além da descrição do tratamento cirúrgico realizado. Concluímos com uma breve revisão da literatura, que visa aprofundar o entendimento sobre o tema. Para sua elaboração, foram selecionados artigos indexados nas bases de dados PubMed, SciELO e Periódicos Capes, publicados entre os anos de 2009 e 2025. Os descritores utilizados foram: “acquired digital fibrokeratoma”, “digital fibrokeratoma” e “nail tumor”, aplicando-se o operador booleano “and” nas combinações “acquired digital fibrokeratoma and histopathology”, “acquired digital fibrokeratoma and dermatoscopy” e “acquired digital fibrokeratoma and surgery”

RELATO DE CASO

Um homem de 59 anos, com diagnóstico prévio de hipertensão arterial sistêmica e carcinoma basocelular em face, procurou o serviço de dermatologia com queixa de lesão em unha do primeiro quirodáctilo direito havia 10 anos. O paciente negou sintomas associados e tratamentos anteriores. Não havia histórico de trauma local antecedendo o surgimento da lesão. O exame físico revelou placa ungueal com distrofia canalicular e lesão subungueal em topografia da lúnula (Figura 1). À onicoscopia, observaram-se uma área branca homogênea e vasos arboriformes (Figura 2). Foram consideradas as seguintes hipóteses diagnósticas: fibroqueratoma e fibromixoma acral superficial. Foi realizado bloqueio digital proximal, seguido de descolamento distal da lâmina ungueal com exposição do leito e da matriz ungueal. Prosseguiu-se com incisão longitudinal na matriz ungueal distal, descolamento e ressecção da lesão. Em seguida, procedeu-se à síntese do defeito cirúrgico da matriz com fio de ácido poliglicólico 4.0, seguida de reposição da lâmina no leito ungueal.

A análise histológica, realizada com coloração hematoxilina-eosina, demonstrou proliferação de células fibroblásticas e numerosos feixes de colágeno espessos, compactados e regularmente distribuídos na derme (Figura 3). Essas características são compatíveis com o diagnóstico de FQDA.

DISCUSSÃO

O FQDA é um tumor benigno raro, de natureza fibroepitelial, descrito inicialmente por Bart em 1968.1 É comumente encontrado nos dedos das mãos e dos pés, embora existam relatos em áreas não digitais, como mãos, pés, joelhos, cotovelos e antebraços, entre outros. O FQDA localizado especificamente no aparelho ungueal foi denominado por Cahn, em 1977, como fibroqueratoma ungueal adquirido, sendo classificado em duas variantes: fibroqueratoma periungueal e subungueal, a depender da localização do tumor.2

O FQDA é observado em todas as raças, sendo mais comum em homens entre 12 e 70 anos, com pico de incidência na meia-idade.3 Sua etiopatogenia não é completamente elucidada, sendo sugerida a participação de eventos traumáticos. No entanto, uma história de trauma nem sempre é referida pelos pacientes.4 Infecções locais por Staphylococcus aureus também podem atuar como desencadeantes. Estudos demonstraram aumento da migração de fibroblastos incubados com enterotoxina B produzida por S. aureus.5,6 Além disso, alguns pesquisadores observaram maior presença de dendrócitos dérmicos positivos para o fator XIIIa, sugerindo sua possível participação na síntese de colágeno e na formação do tumor.6

Qiao et al.7 publicaram o caso de um paciente transplantado que apresentou surgimento concomitante de hiperplasia gengival e FQDA na vigência de tratamento com ciclosporina. As lesões regrediram após a suspensão da medicação, sugerindo

Figura 1: Distrofia canalicular e lesão subungueal em topografia da lúnula

que a medicação pode ter sido o gatilho para o desenvolvimento do tumor. No entanto, não encontramos na literatura outros casos desencadeados pelo uso de ciclosporina, de forma que essa associação merece uma investigação mais aprofundada. O diagnóstico do FQDA é baseado em aspectos clínicos e histológicos característicos. Mesmo assim, costuma representar um verdadeiro desafio diagnóstico, tendo em vista a sua raridade e ampla diversidade de apresentações clínicas.2 O FQDA apresenta-se, em geral, como um tumor solitário, normocrômico, com ponta levemente queratósica,5 diâmetro tipicamente inferior a

1 cm e assintomático, embora existam relatos de lesões maiores que 1 cm e associadas à dor.1 Morfologicamente, pode se apresentar em forma de haste, domo, plano ou ramificado.2 Em nosso levantamento bibliográfico, verificamos que os formatos em haste (47,7%) e domo (37,3%) são os mais prevalentes (Tabela 1).

Geralmente, o FQDA emana da prega ungueal proximal ou, menos comumente, da matriz ou do leito ungueal. Em um estudo com 20 participantes, a localização subungueal foi observada em apenas um paciente.4 Outro estudo, com 21 pacientes chineses, identificou o tumor em localização subungueal em apenas dois casos.1 Ao compilar três séries de casos, observamos que 56% dos pacientes apresentavam lesões em dedos das mãos e 44%, em dedos dos pés (Tabela 1).

A lesão pode pressionar a matriz da unha, resultando em deformidades da placa ungueal, como depressão longitudinal8 (observada no paciente do presente caso), adelgaçamento da lâmina, crescimento anormal, traquioníquia, onicólise, hiperqueratose subungueal e crosta hemorrágica.5 A presença de colarete na base da lesão é um importante achado clínico para o diagnóstico diferencial com outros tumores ungueais.9

A literatura apresenta escassez de estudos que investiguem detalhadamente os aspectos dermatoscópicos do FQDA. De modo geral, a onicoscopia evidencia uma área homogênea central de tonalidade amarelo-clara, circundada por um colarete escamoso de aspecto queratósico, refletindo as características de acantose e hiperqueratose frequentemente associadas a esse tumor. Alguns casos demonstram fissuras brancas na superfície, nas quais podem ser observados vasos sanguíneos puntiformes.1,10 Também são descritas lacunas vermelhas homogêneas, divididas por septos queratósicos brancos em forma de malha, que podem corresponder à epiderme hiperceratótica histologicamente retraída. Essa grande variação de achados pode estar relacionada ao grau diverso de formações vasculares e acúmulo de fibras de colágeno observados no tumor.6,10 Nenhum desses achados dermatoscópicos, no entanto, confere especificidade diagnóstica. No caso apresentado, foi observada a presença de vasos arboriformes, um achado que, até o momento, não havia sido descrito na literatura revisada.

Na presença de um tumor fibroso localizado no aparelho ungueal, especialmente quando em formato alongado, o diagnóstico de FQDA deve ser fortemente considerado. Entre os diagnósticos diferenciais, destacam-se: dedo supranumerário, verruga vulgar, corno cutâneo, tumor de Koenen, poroma écrino e fibromixoma acral superficial.2,9 Em um estudo retrospectivo, Wang et al.11 relatam cinco casos de FQDA que foram incorretamente diagnosticados como poroma écrino, verruga vulgar, polidactilia rudimentar, granuloma piogênico e fibroma acral.Vance e Hohnadel12 documentaram um caso de FQDA no paciente mais jovem descrito até o momento: uma criança de 6 anos, com uma pápula persistente de 6 mm no primeiro dedo direito, diagnosticada erroneamente como verruga vulgar. As taxas de erro diagnóstico são altas, sugerindo que os médicos podem não estar familiarizados com o FQDA.11

Figura 2: Onicoscopia evidencia área branca homogênea e vasos arboriformes
Figura 3: Feixes de colágeno espessados e dispostos paralelamente ao eixo do tumor

Autor N.° casos

Liu et al., 20231

Tabela1: Levantamento bibliográfico do FQDA

Acometimento dos dedos das mãos

Acometimento dos dedos dos pés

Localização no aparelho ungueal

Periungueal: 16/21

Intraungueal: 3/21

Subungueal: 2/21

Periungueal: 15/20

Formato do tumor

Domo: 9/21

Haste: 11/21

Ramificado: 1/21

Plano: 0/21 Hwang et al., 20174

Intraungueal: 4/20

Subungueal: 1/20

Palaniappan et al., 202210

Periungueal: 31/41 (75,6%)

Intraungueal: 7/41(17%)

Subungueal: 3/41 (7,3%)

Domo: 8/20

Haste: 3/20 Ramificado: 5/20

Plano: 4/20

8/26 Haste: 8/26

2/5 Haste: 3/5

Domo: 27/72 (37,5%)

Haste: 35/72 (48,6%)

Ramificado: 6/72 (8,3%)

Plano: 4/72 (5,5%)

*Um caso foi observado em palma da mão.

Figura 4: A - Resultado pós-operatório após 2 anos. B - Onicoscopia da placa ungueal após 2 anos da cirurgia

A histologia do FQDA evidencia epiderme acantótica, hiperqueratose e espessamento focal da camada granulosa. Na derme, observam-se feixes de colágeno espessados, dispostos irregularmente ou paralelamente ao eixo do tumor. As fibras elásticas, em geral, são finas e esparsas, e a derme costuma ser bastante vascularizada.1,9

O tratamento cirúrgico é recomendado, principalmente na presença de dor e prejuízo estético, uma vez que o tumor não tende a involuir espontaneamente.4,5 A excisão cirúrgica completa é o tratamento de escolha, já que a remoção parcial está associada a recidiva local frequente.2,5 A lesão deve ser dissecada até seu ponto mais proximal na origem da unidade ungueal e removida nesse local para prevenir recorrência.8 Para prevenir danos adicionais à matriz ungueal e garantir a completa excisão do tumor, Jahan et al.3 sugerem que seja realizada a elevação cuidadosa da lesão, com retração da prega ungueal proximal, o que permite uma melhor visualização das estruturas durante o ato cirúrgico. Lesões situadas acima da placa ungueal também podem ser tratadas com shaving seguido de fenolização ou vaporização com laser de CO2 3,4 Eletrocirurgia e criocirurgia também são incluídas como opções alternativas de tratamento por alguns autores.10,11

Na Figura 4A e B, apresentamos o resultado pós-operatório após 2 anos da cirurgia. Até o momento, não foram observados sinais de recidiva tumoral.

CONCLUSÃO

O FQDA é um tumor benigno fibroepitelial que geralmente se apresenta como uma pápula única, indolor e com menos de 1 cm, raramente surgindo sob a placa ungueal. A verdadeira incidência do FQDA pode estar subestimada, uma vez que se assemelha a várias lesões benignas que, em geral, não requerem exame histopatológico de rotina. O reconhecimento precoce e otratamento adequado são essenciais para evitar deformidades ungueais. A abordagem terapêutica recomendada é a excisão cirúrgica, devendo-se proceder com cautela para evitar danos à matriz ungueal.

O diagnóstico dos tumores ungueais representa um verdadeiro desafio na prática dermatológica, principalmente quando as lesões se apresentam sob a lâmina ungueal. Frequentemente, é necessária a realização de biópsia para esclarecimento diagnóstico, o que implica custo elevado e risco de distrofia ungueal permanente. Assim, diante de uma pápula fibrosa localizada na borda ungueal, no leito ou na matriz, especialmente quando em formato de domo ou haste (finger-like), o FQDA deve ser lembrado como diagnóstico diferencial. l

REFERÊNCIAS:

1. Liu Y, Zhu Y, Chen G, Xu H, Rao Y, Liu K. A retrospective study on the clinical features of skin lesions in Chinese acquired digital fibrokeratoma patients. J Cosmet Dermatol. 2023;23(1):172–8.

2. Sung KY, Lee S, Lee SY. An unusual presentation of acquired periungual fibrokeratoma: a mixed form of dome‐shaped and branching type. Clin Case Reports. 2020;8(11):2129–31.

3. Jahan N, Padubidri Kombettu Ashwini, S. Chethana, Jayadev Betkerur, Shastry

4. V. Horn on the nail: acquired ungual fibrokeratoma. J Cutan Aesth Surg. 2021;14(1):121–4.

5. Hwang S, Kim M, Baik Kee Cho, Hyun Jeong Park. Clinical characteristics of acquired ungual fibrokeratoma. Indian J Dermatol Venereol Leprol. 2017;83(3):337–7.

6. Ballan A, Zeinaty P, Tomb R, Kechichian E, El Hachem L, Nasr M, et al. Acquired ungual fibrokeratoma: a systematic review of the literature. Int Dermatol. 2020;60(5):533–9.

AUTHOR’S CONTRIBUTION:

André Martins Ornelas 0009-0002-0393-7205

7. Shih S, Khachemoune A. Acquired digital fibrokeratoma: review of its clinical and dermoscopic features and differential diagnosis. Int Dermatol. 2018;58(2):151–8.

8. Qiao J, Liu YH, Fang K. Acquired digital fibrokeratoma associated with ciclosporin treatment. Clin Exp Dermatol. 2009;34(2):257–9.

9. Hare AQ, Rich P. Nail tumors. Dermatol Clin. 2021;39(2):281–92.

10. Pegas JR, Cade KV, Kiyomura MY, Soares A, Mayer L, Tebcherani AJ. Fibroqueratoma digital adquirido: a propósito de um caso clínico. Surg Cosmet Dermatol. 2012;4(4):357–9.

11. Palaniappan V, Sadhasivamohan A, Sankarapandian J, Karthikeyan K. Acquired fibrokeratoma: a retrospective study in a tertiary centre in South India. Indian J Dermatol. 2022;67(3):312.

12. Wang X, Zhang D, Lin Q, Niu C, Fan H, Zhang M, et al. Acquired digital fibrokeratoma: a report of five cases and review of the literature. Clin Cosmet Invest Dermatol. 2024;17:247–52.

13. Vance P, Hohnadel M. Acquired digital fibrokeratoma in a 6‐Year‐Old patient: the youngest reported case. Pediatr Dermatol. 2025;42(4):892-3.

Study conception and design; manuscript drafting and writing; data collection, analysis, and interpretation; intellectual participation in the propaedeutic and/or therapeutic approach to the cases studied; critical review of the literature.

Clarissa Brito Farias 0009-0009-5395-045X

Manuscript drafting and writing; data collection, analysis, and interpretation; critical review of the manuscript.

Isabelle Sousa Medeiros Torres Ferreira 0000-0002-9597-3272

Data collection, analysis, and interpretation.

Flauberto de Sousa Marinho 0000-0002-9337-9931

Final approval of the manuscript; study conception and design; data collection, analysis, and interpretation; intellectual participation in the propaedeutic and/or therapeutic approach to the cases studied; critical review of the manuscript.

Nosso próximo enc o!

A CÂMERA DO CELULAR E INSCREVA-SE!

REALIZAÇÃO: GESTÃO 2025/2026

APROXIME

Turn static files into dynamic content formats.

Create a flipbook
Issuu converts static files into: digital portfolios, online yearbooks, online catalogs, digital photo albums and more. Sign up and create your flipbook.