S&CDv17n1-ING_v3

Page 1


SCIENTIFIC SUPPORT

Volume 17 ● Number 1 ● January - March 2025

REVIEW ARTICLE

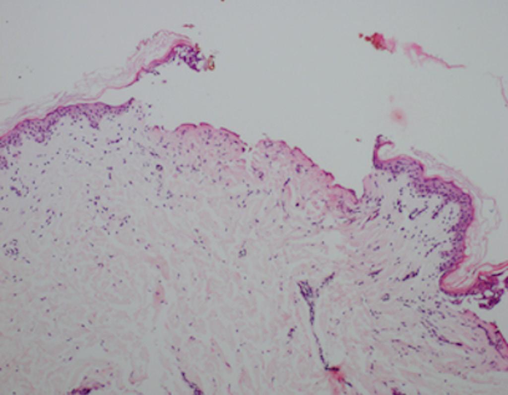
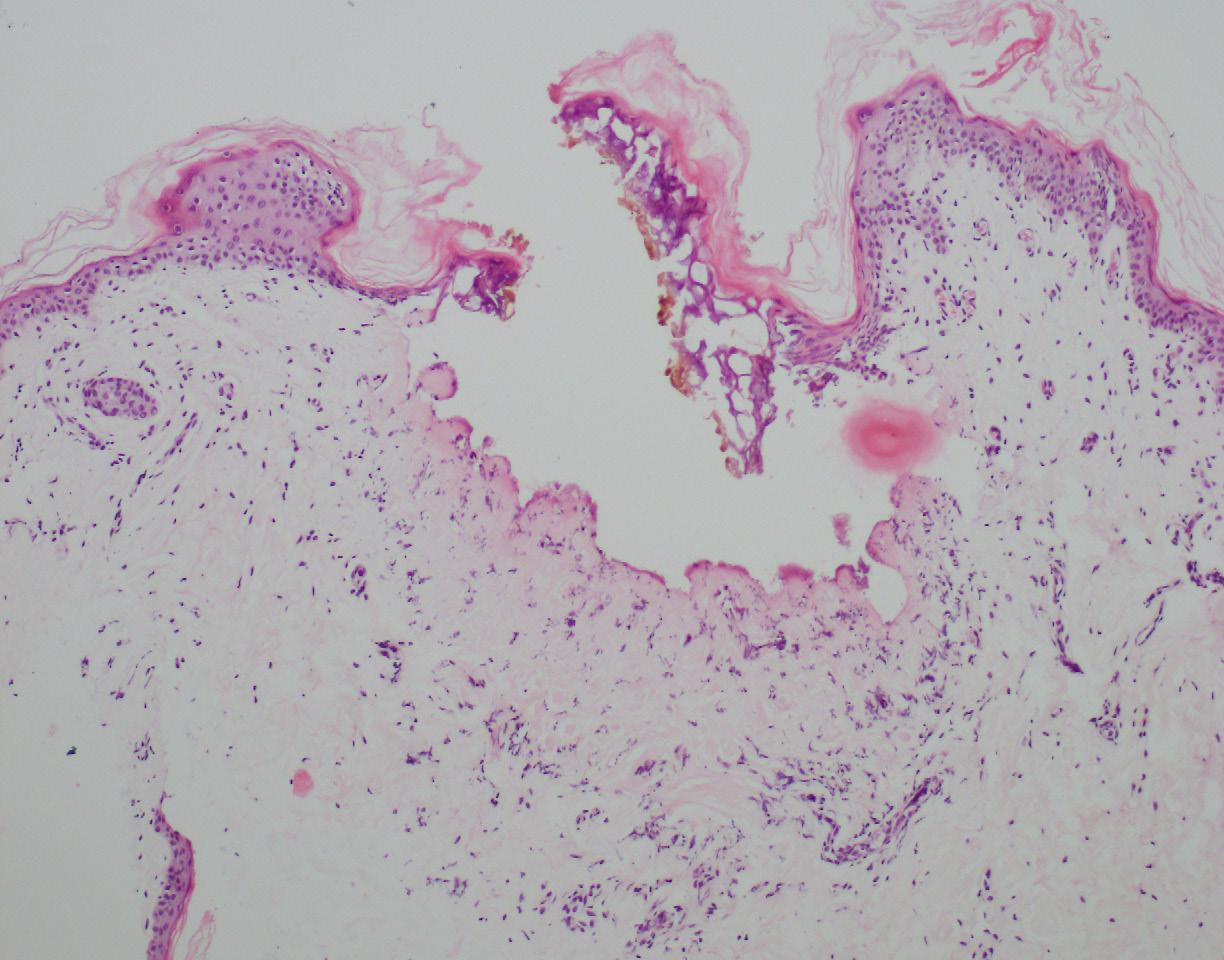
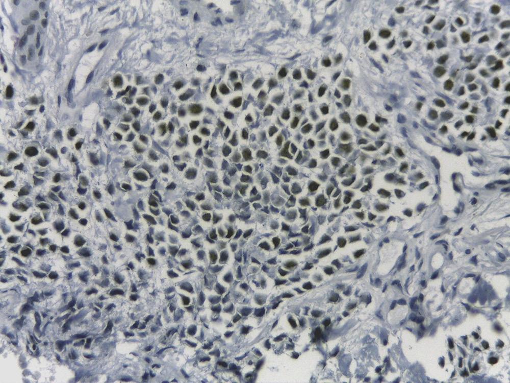
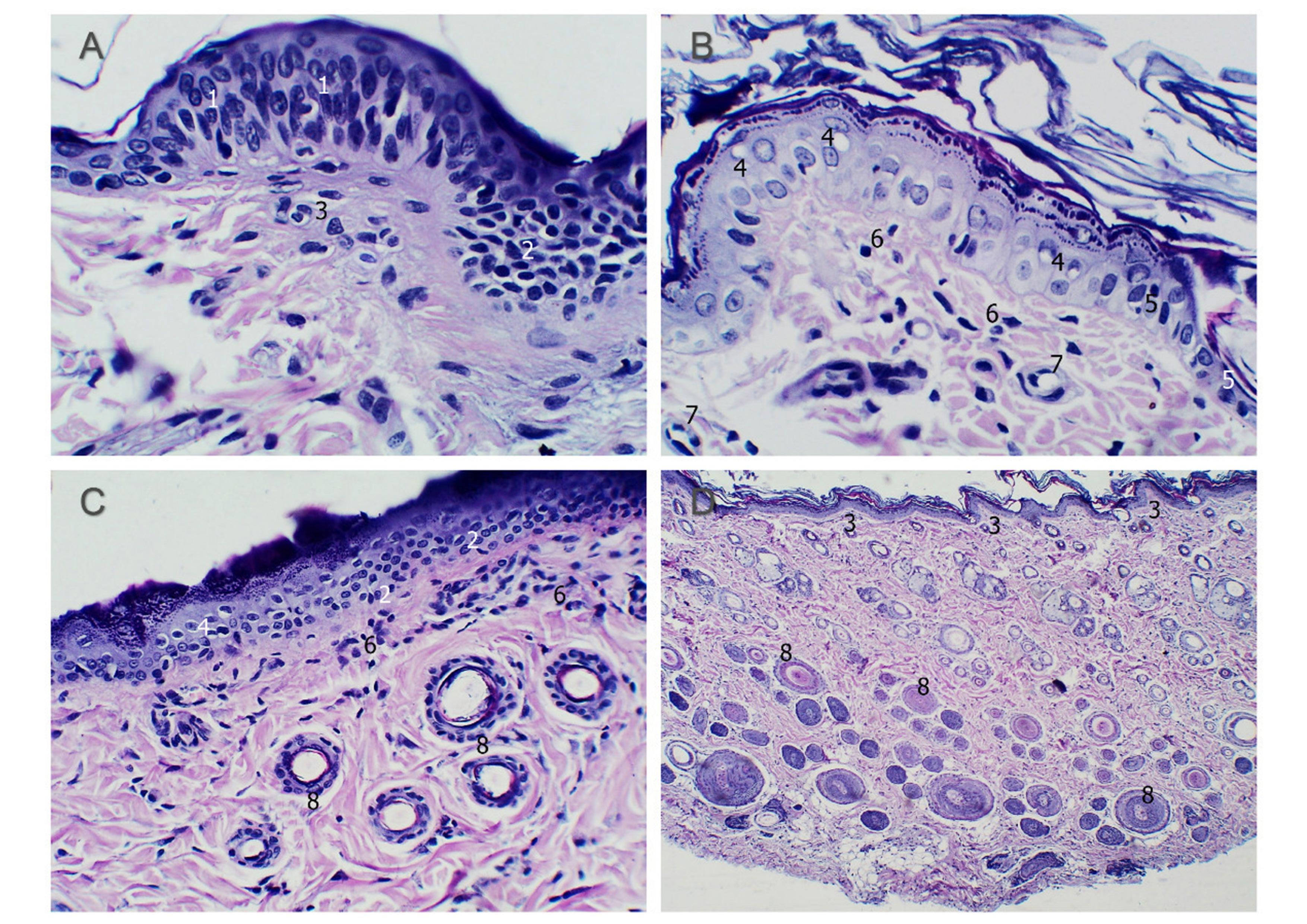
ONTOGENISIS OF MERKEL-CELL CARCINOMA

ORIGINAL ARTICLE

■ Oral supplementation of the nutraceutical decarboxy carcinine HCl for rhytids and skin rejuvenation

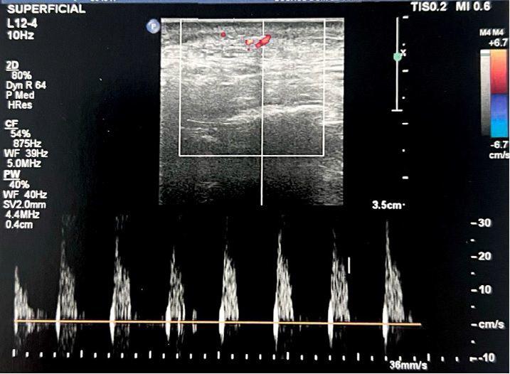
■ Treatment of Parry-Romberg syndrome and linear scleroderma en coup de sabre, with application of poly-L-lactic acid (PLLA): assessment of clinical and high-resolution ultrasound response

LETTERS TO THE EDITOR

■ Efficacy and safety of 85% phenol and 4% croton oil solution in the treatment of anogenital penile warts: a proof-of-concept study

CASE REPORT

■ Z-plasty, an option for reconstructing two synchronous nasal defects: a case report

■ Transverse facial artery occlusion following hyaluronic acid and calcium hydroxyapatite filler injection: a case report

14 E 15 DE NOVEMBRO DE 2025

CENTRO DE CONVENÇÕES FREI CANECA - SP

REALIZAÇÃO:

www.surgicalcosmetic.org.br

P ublished Q uarterly

CHIEF EDITOR

Hamilton Ometto Stolf State University of Campinas (Unicamp), Campinas (SP), Brazil. São Paulo State University, São Paulo (SP), Brazil.

CO-EDITORS

Bogdana Victoria Kadunc Municipal Civil Servant Hospital, São Paulo (SP), Brazil.

Célia Luiza Petersen Vitello Kalil Federal University of the Southern Border, Passo Fundo (RS), Brazil.

Vitor Costa Fabris

UNIARP School of Medicine, Caçador (SC), Brazil. Center for Studies in Aesthetic Dermatology, Caçador (SC), Brazil.

Sociedade Brasileira de Dermatologia

Afiliada à Associação Médica Brasileira www.sbd.org.br

Surgical & Cosmetic Dermatology

SUR GI CAL & COS ME TIC DER MATO LOGY

Publicação Oficial da Sociedade Brasileira de Dermatologia

Official Publication of Brazilian Society of Dermatology

Publicação Trimestral (Quarterly Edition)

ISSN-e 1984-8773 l January - March 2025 l Volume 17 l Número 1

Executive Board | 2025-2026

President:

Carlos Baptista Barcaui | RJ

Vice-President:

Lauro Lourival Lopes Filho | PI

General Secretary:

Francisca Regina Oliveira Carneiro | PA

Treasurer: Márcio Soares Serra | RJ

First Secretary: Rosana Lazzarini | SP

Second Secretary: Juliana Kida | SC

Areas editors

Cosmetic Dermatology

Doris Hexsel

Brazilian Center for Studies in Dermatology, Porto Alegre (RS), Brazil.

Carolina Malavassi Murari

University of Santo Amaro, São Paulo (SP), Brazil.

Laser and Technology

Celia Kalil

Santa Casa de Misericordia Hospital in Porto Alegre, Porto Alegre (RS), Brazil.

Luciana Cirillo Maluf Azevedo

ABC Medical School, Santo André (SP), Brazil.

Nail surgery

Nilton Di Chiacchio

Municipal Civil Servant Hospital, São Paulo (SP), Brazil.

Tricologia

Carolina Fechine

Editores

Editor-in-chief:

Hamilton Ometto Stolf State University of Campinas (Unicamp), Campinas (SP), Brazil.

São Paulo State University, São Paulo (SP), Brazil.

Coeditors: Bogdana Victoria Kadunc Municipal Civil Servant Hospital, São Paulo (SP), Brazil.

Célia Luiza Petersen Vitello Kalil Federal University of the Southern Border, Passo Fundo (RS), Brazil.

Vitor Costa Fabris

UNIARP School of Medicine, Caçador (SC), Brazil. Center for Studies in Aesthetic Dermatology, Caçador (SC), Brazil.

School of Medicine of the University of São Paulo, São Paulo (SP), Brazil.

Luciana Pontes

Ruston Clinic, São Paulo (SP), Brazil.

Micrographic Surgery

Felipe Cerci

Mackenzie Evangelical University Hospital, Curitiba (PR), Brazil.

Reconstructive Dermatologic Surgery

Lauro Lourival Lopes Filho

Federal University of Piauí, Teresina (PI), Brazil.

Healing and wounds

Gisele Viana de Oliveira

Minas Gerais State Civil Servants’ Pension Institute, Belo Horizonte (MG), Brazil.

Luciana Patrícia Fernandes Abbade

Botucatu Medical School of the São Paulo State University – Unesp, São Paulo (SP), Brazil.

Cosmetic Dermatologic Surgery

Carlos Gustavo Wambier

Warren Alpert Medical School, Brown University, Providence, Rhode Island, United States of America.

Diagnostic Imaging

Paula Tavares Colpas

Pontifical Catholic University of Campinas, Campinas (SP), Brazil.

National editorial board

Alcidarta dos Reis Gadelha School of Medicine of the Amazonas State University, Manaus (AM), Brazil.

Ana Paula Gomes Meski

Clinical Hospital of the School of Medicine of the University of São Paulo, São Paulo (SP), Brazil.

Ana Cláudia Cavalcante Espósito Federal University of São Paulo, Department of Dermatology and Radiotherapy, Botucatu (SP), Brazil.

André Luiz Simião Pontifical Catholic University of Campinas, Campinas (SP), Brazil.

Carlos Baptista Barcaui Rio de Janeiro State University, Pedro Ernesto University Hospital, Rio de Janeiro (RJ), Brazil.

Carlos Gustavo Wambier

Warren Alpert Medical School, Brown University, Providence, Rhode Island, United States of America.

Carolina Oliveira Costa Fechine

School of Medicine of the University of São Paulo, São Paulo (SP), Brazil.

Carolina Malavassi Murari University of Santo Amaro, São Paulo (SP), Brazil.

Emerson Vasconcelos de Andrade Lima Santa Casa de Misericordia Hospital in Recife, Recife (PE), Brazil.

Érica de Oliveira Monteiro

Federal University of São Paulo – UNIFESP, São Paulo (SP), Brazil.

Érico Pampado Di Santis

University of Taubaté – UNITAU, Taubaté (SP), Brazil.

Fabiane Mulinari Brenner

Clinical Hospital, Federal University of Paraná, Department of Dermatology, Curitiba (PR), Brazil.

Felipe Bochnia Cerci Mackenzie Evangelical University Hospital, Curitiba (PR), Brazil.

Flávia Alvim Sant’anna Addor MEDCIN Group, Clinical Research, Osasco (SP), Brazil.

Francisco M. Paschoal

ABC Medical School, São Paulo (SP), Brazil.

Gisele Viana de Oliveira

Minas Gerais State Civil Servants’ Pension Institute, Belo Horizonte (MG), Brazil.

Izelda Carvalho Costa University of Brasilia - UnB, Brasília (DF), Brazil.

José Roberto Pereira Pegas Padre Bento Hospital Complex in Guarulhos, Guarulhos (SP), Brazil.

Lauro Lourival Lopes Filho Federal University of Piauí, Teresina (PI), Brazil.

Luciana Archetti Conrado Integra Dermatologia Clinic, São Paulo (SP), Brazil.

Surgical & Cosmetic Dermatology

Luciana Cirillo Maluf Azevedo

ABC Medical School, Santo André (SP), Brazil.

Luciana Patrícia Fernandes Abbade Botucatu Medical School of the São Paulo State University – Unesp, São Paulo (SP), Brazil.

Luciana Takata Pontes Ruston Clinic, São Paulo (SP), Brazil. Luis Antonio Torezan University of São Paulo – USP, São Paulo (SP), Brazil.

Luiz Fernando F. Kopke

Federal University of Santa Catarina – UFSC, Florianópolis (SC), Brazil.

Maria Fernanda Gavazzoni

Santa Casa de Misericordia Hospital in Rio de Janeiro, Rio de Janeiro (RJ), Brazil.

Monica Manela Azulay

Federal University of Rio de Janeiro, Rio de Janeiro (RJ), Brazil.

Nilton Di Chiacchio

Municipal Civil Servant Hospital, São Paulo (SP), Brazil.

Paula Tavares Colpas

Pontifical Catholic University of Campinas, Campinas (SP), Brazil.

Samira Yarak

Federal University of São Paulo, São Paulo (SP), Brazil.

International Board of Reviewers

Jerry Brewer University of South Carolina, Colúmbia (SC), Estados Unidos da América.

A/C SURGICAL & COSMETIC DERMATOLOGY

Av. Rio Branco, 39 18º andar Cep: 20.090-003

Rio de Janeiro-RJ, Brazil. Phone: 55 (21) 2253-6747

E-mail: surgical@sbd.org.br website: www.surgicalcosmetic.org.br

Surgical & Cosmetic Dermatology is an official publication of the Brazilian Society of Dermatology (SBD) in partnership with the Brazilian Society of Dermatological Surgery. The technical and scientific content presented in this publication is co-owned by the Brazilian Society of Dermatology.

Published by: Brazilian Society of Dermatology.

©2019 Sociedade Brasileira de Dermatologia. Site: www.sbd.org.br

The advertisements published in this issue are the sole responsibility of the advertisers, just as the concepts expressed in signed articles are the sole responsibility of their authors, and do not necessarily reflect the opinion of the SBD.

All rights reserved and protected by law 9.610 of 02/19/98. No part of this publication may be reproduced without prior written authorization from the Brazilian Society of Dermatology, regardless of the means employed: electronic, mechanical, photographic, recording or any other. Material for distribution to the medical profession. The magazine is in the Legal Deposit, at the National

Library, in accordance with Decree No. 1.825, of December 20, 1907.

Licença Creative Commons

Indexed

n Sumários. org (www.sumarios.org/)

n DOAJ (https://doaj.org/)

n Latindex (www.latindex.org)

n Lilacs (https://bases.bireme.br/)

n SCOPUS (http://www.scopus.com/home.url)

n Periódica (http://periodica.unam.mx)

n Redalyc (http://www.redalyc.org)

PUBLISHED QUARTERLY

Technical Team Nazareno Nogueira de Souza

Librarian Vanessa Mafra

Subscription information on the website: www.surgicalcosmetic.org.br

Subscription prices: R$ 250,00 e $180 dollars

SURGICAL & COSMETIC DERMATOLOGY / INSTRUCTIONS TO AUTHORS

GUIDE FOR AUTHORS

Surgical & Cosmetic Dermatology is an interdisciplinary open-access journal dedicated to publishing research on all aspects of Dermatologic Surgery. It also welcomes articles in Cutaneous Oncology, Cosmetic Surgery and Dermatology, Laser, and other Therapy Technologies.

Please see Editorial Policies to:

General information

Language

Open access

Authorship

Peer-review policy

Copyright and licensing

Ethical guidelines and research integrity

PREPRINT

We accept the submission of articles deposited in preprints repositories. Authors can share their preprint anywhere at any time.

If a preprint is accepted for publication, we encourage authors to link it to their formal publication through their Digital Object Identifier (DOI).

Authors can update their preprints on bioRxiv (https:// www.biorxiv.org/), medRxiv (https://www.medrxiv.org/) or others with their accepted manuscript.

DISCLAIMER

Statements and opinions expressed in the articles and communications published on Surgical & Cosmetic Dermatology are those of the author(s) and not necessarily those of the Editor(s), Publisher, or Society.

SUBMISSION GUIDELINES

Proper preparation of the manuscript makes the review and publication processes more efficient. Thus, we recommend some precautions that can significantly facilitate the preparation of papers.

Articles must be unpublished and written in the author’s original language (Portuguese or English): the editorial team will provide the necessary versions. The font must be Times New Roman or Arial, 12 points.

The study's title must be concise, informed in Portuguese and English, containing up to 150 characters without spaces, accompanied by a short title.

Abstracts in Portuguese and English must follow the appropriate format for the type of article.

4. Authors must inform full name, abbreviations, and their institutional affiliations, followed by city, state, and country. Links to institutions must be listed in hierarchical order (e.g., first the

Department, second the University). The inclusion of minicurriculums is not allowed.When an author is affiliated with more than one institution, each must be identified separately.When two or more authors are affiliated with the same institution, it should be identified only once. Authors belonging to Private Clinics must cite them as an institution. It is mandatory to mention the ORCID number used to identify researchers for the first and last authors. The author must assume at least one responsibility in the elaboration of the study and must inform the contribution of each one in the submission. One of the authors must be designated as the corresponding author, providing an email address. Authors must also mention the place where the work was conducted. Authors must clearly state any conflicts of interest and financial support.

The keywords must be cited in Portuguese and English, totaling 3 to 10 per language, and they must be included in all types of articles. We recommend that the keywords are obtained from DeCS (Health Science Descriptors) or MeSH (Medical Subject Headings), which can be accessed on the internet.

The limit number of words for texts must follow the type of article and calculated excluding references and abstracts in Portuguese and English.

Extensive and repetitive introductory information should be avoided, giving preference to the most recent, not yet published. Avoid repeating the same information in the abstract, introduction, and discussion.

Weights and measurements must be expressed in the decimal metric system and temperatures in degrees centigrade. Drugs must be mentioned by their generic names, followed by the dose and dosage used, avoiding commercial terms or brands. Descriptions of any equipment, instruments, tests, and reagents must contain the name of the manufacturer and the place of manufacture.

According to the ICMJE, only those who actively participated in the study can be designated as authors, thus assuming public responsibility for its content. Authorship credits must be based solely on substantial contributions to: discussion and planning of the topic and protocol, analysis or interpretation of data; writing of the article or its review; responsibility for final approval for publication.

Other minor contributions such as literature suggestions, data collection and analysis, funding obtaining, technical assistance in conducting routines, patients referral, routine test interpretation, and head of service or department that are not involved in the study do not constitute criteria for authorship. They can be recognized separately in the “Acknowledgments” session, according to the authors’ decision.

ARTICLE TYPES

A Surgical & Cosmetic Dermatology publishes the following article types:

REVIEW ARTICLES

Review articles deepen specific themes in the areas of interest of S&CD, algorithms, compilations, statistics, consensus, and guidelines.These papers have a free format; however, they must contain an unstructured abstract of up to 100 words and conclusions or final considerations. Limit: text up to 6000 words, 10 illustrations, and 60 references. Systematic review articles or meta-analyses must follow relevant guidelines (http://cochrane.org.br).

ORIGINAL ARTICLE

Original articles report original investigative research in Dermatological Surgery, Cutaneous Oncology, Imaging Diagnosis, Dermatology Technology, and Cosmetic Dermatology. Examples: experimental studies, clinical studies, comparisons and descriptions of techniques, or evaluation methods.The text should contain up to 4000 words, 10 illustrations, and 35 references and follow the IMRDC format (Introduction and objective, Methods, Results, Discussion, Conclusion).

Abstract: The abstract must contain up to 250 words and be structured, comprising: Introduction, Objective, Methods, Results, and Conclusions. It is not allowed to state that results or other data will be presented or discussed.

Introduction: State the reasons that motivated the study, describing the current state of knowledge on the subject. Use the last paragraph to specify the central question or objective of the research and the primary hypothesis tested, if any.

Methods: Explain how the study was conducted:

Study type: describe its design specifying the temporal direction (retrospective or prospective), the type of randomization, if any (pairing, drawing, sequencing, etc.), if the study was blind, comparative, placebo-controlled, etc.

Location: indicate where the study was conducted (private or public institution), mentioning the research’s approval by the Research Ethics Committee, the selection procedures, the inclusion and exclusion criteria, and the initial number of patients.

Procedures: describe the main characteristics of the interventions performed, detailing the technique and considering that the investigation study should be reproducible.

Methodology: Description of the methods used to evaluate the results.

Statistical analysis: Inclusion of descriptive and/or comparative statistical analysis describing the sample planning (representative of the universe to be studied), analysis and statistical tests, and presenting the adopted significance levels.We encourage using unusual statistical analyses, but a more detailed description should be made in this case.

Results: Report the main results that point estimates and measures of dispersion should accompany (e.g., mean and standard error) or interval estimates (e.g., confidence intervals), as well as the descriptive levels of the tests statistics used (e.g., “p-value”). Findings must also be interpreted from a clinical point of view.

Discussion: Emphasize the new and essential results found by the study, which will be part of the conclusion. Also, report observations from other relevant studies, mentioning the limitations of the findings and implications for future research.

Conclusions: Clearly and concisely answer the proposed objectives of the study. The same emphasis must be given to studies with positive or negative results.

DIAGNOSTIC IMAGING

Diagnostic Imaging addresses topics or clinical cases where imaging exams (dermoscopy, confocal microscopy, ultrasound, and other methods) are essential for diagnosis or treatment. It must contain unstructured abstract of up to 100 words, text up to 1200 words, 6 illustrations, and 5 references.

HOW I DO IT?

How do I do it? describes new techniques or details of procedures. It must contain unstructured abstract of up to 100 words, an introduction with a literature review, methods, results, discussion, and conclusion. Limit: 1200 words, 8 illustrations, and 30 references.

CASE REPORT

Case report is the description of cases or series of relevant cases in the areas of interest of S&CD, depicting treatments, complications, etc. It must contain unstructured abstract of up to 100 words, an introduction with a literature review, methods, results, discussion, and conclusion, whenever pertinent. Limit: text up to 1200 words, 8 illustrations and 30 references.

LETTERS TO THE EDITOR

Letters to the editor are objective, brief, and constructive comments on previously published studies or research. The text should be up to 600 words, with a maximum of 5 references.

ETHICS COMMITTEE

The authorization certificate by an Ethics Committee is only required for the Original Articles of prospective research.

REFERENCES

Bibliographic references must be listed on the last pages of the article and numbered according to the citation in the text (in sequential numerical order), following the Vancouver style, as indicated by the International Committee of Medical Journal Editors (ICMJE). References cited in table and figure legends must

keep the sequence with the citations in the text. If a document has six or more authors, provide the name of the first six authors followed by "et al".

Below are examples of the most common types of references taken from ICMJE:

Journal articles:

Hallal AH, Amortegui JD, Jeroukhimov IM, Casillas J, Schulman CI, Manning RJ, et al. Magnetic resonance cholangiopancreatography accurately detects common bile duct stones in resolving gallstone pancreatitis. J Am Coll Surg. 2005;200(6):869-75.

Book chapter:

Reppert SM. Circadian rhythms: basic aspects and pediatric implications. In: Styne DM, Brook CGD, editors. Current concepts in pediatric endocrinology. New York: Elsevier; 1987. p .91-125.

Website and online content:

With author: Fugh-Berman A. Pharmed OUT [Internet]. Washington: Georgetown University, Department of Physiology and Biophysics; c2006 [cited 2007 Mar 23]. Available from: http:// www.pharmedout.org/.

When the author is an organization: International Union of Biochemistry and Molecular Biology. Recommendations on Biochemical & Organic Nomenclature, Symbols & Terminology etc. [Internet]. London: University of London, Queen Mary, Department of Chemistry; [updated 2006 Jul 24; cited 2007 Feb 22]. Available from: http://www.chem.qmul.ac.uk/iubmb/

Previous presentation at events:

Bruhat M, Silva Carvalho JL, Campo R, Fradique A, Dequesne J, Setubal A, editors. Proceedings of the 10th Congress of the European Society for Gynaecological Endoscopy; 2001 Nov 22-24; Lisbon, Portugal. Bologna (Italy): Monduzzi Editore, International Proceedings Division; c2001. 474 p.

FIGURES

Figures, charts, and tables must be cited in sequential numerical order in the text in Arabic numerals (example: Figure 3, Chart 7), and the Editor is responsible for suppressing the redundant ones. Figure and charts legends and table titles and footnotes must accurately describe their content in short sentences, but sufficient for understanding, even if the article is not fully read. They must be uploaded in the system in the step corresponding to illustrations, avoiding using the field for the text, so the words within the figures are not counted.

Figures must have a minimum resolution of 300 DPI, minimum width of 1,200 pixels with proportional height, and JPG or TIF formats. The photographs must be in focus, allowing the visualization of the details. Arrows or lines can be used to highlight areas of interest.The legends of histological images must specify staining and magnification. If a figure has been previously published, its source should be cited and included in the references.

The copyright holder's permission for its reproduction must be sent to the journal. The use of pictures that identify patients’ faces requires a written authorization (see the document Consent of Publishing Patient Photographs on the journal’s website).

Regarding videos, it is necessary to insert subtitles containing information such as the title of the manuscript, authorship, institution, and other relevant comments. When using patient images, their identity must be preserved; otherwise, written permission for disclosure must be attached.

Charts must be prepared in Microsoft Excel. Tables do not need to be described in the text because their objective is to supplement it and not augment it. The units used to express the results (m, g, g/100, mL, etc.) should appear at the top of each column. Patients must be identified by numbers or letters, and never by names, initials, or hospital registration numbers.

COVER LETTER

The cover letter must include the following information: An explanation of why your manuscript is suitable for publishing in Surgical & Cosmetic Dermatology.

Confirmation that the manuscript's content is original and has not been published nor is being considered for publication elsewhere.

If the manuscript is being submitted for a particular special issue, its specific name must be mentioned in the cover letter.

If the article reports the results of a health intervention in human participants, Surgical & Cosmetic Dermatology strongly recommends its record in an appropriate registry. The registration number and date must be indicated in this letter.

AUTHORS’ DECLARATIONS

The following final statements must be included in the final version of the manuscript. These declarations are expected to be submitted along with the cover letter since Surgical & Cosmetic Dermatology adopts a double-blind peer review.

‘Acknowledgments’ – list of people who contributed to the article (and does not meet the criteria for authorship), including contributors who provided professional writing services or materials.

‘Availability of data and materials’ – availability statements contain information on where data supporting the results reported in the article can be found, such as hyperlinks to publicly archived datasets. Example sentences are: ‘All data generated or analyzed during this study are included in this article’; ‘The datasets generated and/or analyzed during the current study are available in the [NAME] repository’, ‘The datasets generated during and/ or analyzed during the current study are available from the corresponding author on reasonable request’ or ‘Not applicable’ if no new data were created or analyzed in the study.

‘Financial support’ - all sources of funding of the study

should be disclosed; it is necessary to indicate grants that authors have received in support of the research.

‘Conflict of interest’ – all financial and non-financial competing interests must be declared in this section. If the authors do not have any competing interests, it is necessary to state ‘The authors declare that they have no conflict of interest’.

‘Authors’ contributions’ – Each author is expected to have made substantial contributions to the manuscript, which should be specified in this section. Please use initials to refer to each authors’ contribution. For example: ‘AB, CD, and EF conceived this research and designed experiments. GH participated in the design and interpretation of the data. IJ performed experiments and analysis. KL and MN wrote the paper and participated in the revisions of it. All authors read and approved the final manuscript’.

The maximum acceptable limit of authors is 5 (five); there will only be an exception for more complex works (ex. Original Article, Review) upon justification and approval by the editors.

‘Ethics approval/Ethics approval and consent to participate’: manuscripts reporting studies involving human participants or human data must include a statement on ethics approval and consent and include the name of the ethics committee that approved the study and the committee’s reference number. Studies involving animals must include a statement on ethics approval. If the manuscript does not report on or involve the use of any animal or human data, it is necessary to state ‘Not applicable’.

‘Consent for publication’if the manuscript contains any individual's personal data in any form, consent for publication must be obtained from that person, or in the case of children, their parent or legal guardian. All presentations of case reports must have consent for publication.

SUBMISSION

Manuscripts should be submitted through our online submission system (https://www.gnpapers.com.br/scd/default. asp?lang=en). The submitting author is responsible for the manuscript during the submission and peer-review process. They must ensure that all eligible co-authors have been included in the author list and have all read and approved the submitted manuscript. The following files are required to submit a manuscript:

The main manuscript file, which must not include the names of authors or co-authors (an anonymous file since the journal uses double-blind peer review). References and smaller tables should be included in this file.

A title page, which must contain the names of all authors and co-authors, their affiliations, emails, and all authors’ declarations.

A cover letter.

Figure files.

Any additional files as supplemental material to the manuscript.

All documents such as Copyright, Conflict of Interest, and Consent for Publishing Photographs are available on the journal’s website and in the online submission system. These documents must be signed by all participating authors and attached to the system when submitting the manuscript. Consent for Publishing Patient Photographs is only necessary when the patient’s face is fully identified. The editors will only request the Paper Participation document if necessary.

Table of contents

Official publication of the Brazilian Society of Dermatology

JANUARY - MARCH 2025 l Volume 17 l Number 1

ISSN:1984-5510

Online ISSN: 1984-8773

EDITORIAL 11

REVIEW ARTICLE

Eyebrow lift with cosmetic procedures: how to approach it

Rebecca Ignacio Subirá Medina, Gladstone Eustáquio de Lima Faria, Ricardo Frota Boggio,

Ontogenisis of Merkel-cell carcinoma

Fernanda Guimarães Souza, Daniela Pessanha dos Santos, Luiza Oliveira Ribeiro, Thiago Rubim Batista Bellot Nascimento, Flávio Barbosa Luz

Clinical recommendations for the combined use of poly-L-lactic acid (PLLA-SCA) and energy-based devices: expert

12

24

33 opinion and literature review

Taciana Dal´Forno, Maria Paula Del Nero, Fernanda Nunes, Cíntia Cunha, Alessandra Haddad, Adriana Vilarinho, Alessandra Nogueira, Rafael Tomaz

ORIGINAL ARTICLE

Efficacy and safety of silicone adhesives in improving signs of periorbital aging: a pilot study

Flávia Alvim Sant’anna Addor, Ludmila Coelho Donato, Thiago Silva Raposo, Dayana da Costa Salome

The influence of topical antioxidant use on hair regrowth and skin condition after chemical depilation

43

48 Olena Baliuk, Oleh Akimov, Olena Vazhnichaya,Vitalii Kostenko, Ivan Starchenko

Oral supplementation of the nutraceutical decarboxy carcinine HCl for rhytids and skin rejuvenation

58 Célia Kalil, Luciane Zagonel,Valéria Barreto Campos, Christine Chaves Prato, Clarissa Reinehr, Patrícia França, Pedro Vargas

Treatment of Parry-Romberg syndrome and linear scleroderma en coup de sabre, with application of poly-L-lactic

66 acid (PLLA): assessment of clinical and high-resolution ultrasound response.

Renato Rober to Liberato Rostey, Cristiane Ferreira Rallo de Almeida, Danilo Olavarria D’Aquino, Caio Leal Carvalho

Adult female acne: prevalence and risk factors in a sample of the Brazilian population

76 Eloana Pasqualin Lange, Gabriela Roncada Haddad, Raul Pansardis Sampaio, Pedro Coltro Estella, Beatr iz Antunes Benedito, Juliano Vilaverde Schmitt

Outcomes of facial skin cancer treatment using local skin flaps at Can Tho City Oncology Hospital from 2021 to 2023

83 Du Van Truong, Lam Van Nguyen, Nam Ky Nguyen, Luat Thao Huynh, Mai Huynh Truc Phuong

Efficacy of a dietary supplement on the molecular and clinical parameters of skin aging

89 Flavia Alvim Sant’Anna Addor, Nathalia Terumi Kawakami, Michelle Sabrina da Silva,

Table of contents

Letters

Efficac y and safety of 85% phenol and 4% croton oil solution in the treatment of anogenital penile warts: a proof-of-concept study

Maria Cecília Belli, Hélio Amante Miot, Luis Eduardo Garbers, Bruno Dias Martimiano

How do i do?

Tip for achieving hemostasis in the paramedian interpolation flap pedicle

89

91 Felipe Maurício Soeiro Sampaio, Isabela Coelho Guimarães, Bruno Lopes da Silva Ramos

Case report

Correction of facial asymmetry following fat grafting with the application of fat-dissolving injections

Andrea Carvalho Souza, Carlos Roberto Antonio, Lívia Arroyo Trídico,

Treatment of folliculitis decalvans with Erbium-YAG laser

Ana Clara Maia Palhano, Heloise Marangoni, Daniel Simão de Andrade, Thaisa Bosquiroli Brandalize, Rossana Cantanhede Farias de Vasconcelos

Z-plasty, an option for reconstructing two synchronous nasal defects: a case report

Raul Ribeiro Garcia, Luis Felipe Stella Santos, Guilherme Basso Durães, Lissa Shizue Tateiwa Niekawa, Rogerio Nabor Kondo

Histological comparison of the action of CO2 laser and plasma in abdominal skin

Ana Gabriella Bandeira Freire Andrade, Rossana Cantanhe de Farias de Vasconcelos, João Guilherme Finizola de Vasconcelos, Ana Mar ia Bertelli Antonio Gallotti, Caroline Costa de Mendonça

Forehead reduction: option for reconstructing forehead defects

Vitoria Azulay, Beatriz Rocha Strauss, Gabriela Della Ripa, Lucas Madureira, Leonardo Rotolo

Transverse facial artery occlusion following hyaluronic acid and calcium hydroxyapatite filler injection: a case report

95

99

103

108

112

116 Isabelle Ary Duque, Francisco Jefferson Araújo Elias, Matheus Morais Lima

Necrotizing soft tissue infection in a patient following cosmetic pedicure: a case report

121 Raman Nitskovich, Izabela Staniszewska, Irena Walecka

Combined surgical techniques in the treatment of hypopigmented scars in discoid lupus erythematosus

Rafael Rezende Rocha de Oliveira, Jade Noleto Viana, Kaique Arriel, Rafael Rubinho, Fernanda Rytenband

Bilateral temporal triangle alopecia mimicking male pattern alopecia in an adult woman: a case report and review of literature

125

129 Marcelo Balbinot Lucca, Laura Oliveira Ferreira, Ana Letícia Boff, Rodrigo Vettorato

www.surgicalcosmetic.org.br/

When we write case reports, reviews, or original studies, we aim to connect with readers clearly and directly, fulfilling our aspirations as researchers.

Writing is an act of great responsibility, as it demands significant time, reading, concentration, focus,isolation,and respect for the chosen language. A manuscript is more than just technical — individuals have their own style and way of expressing themselves, and practice leads to improved communication Reflections on the article, the humility of handing it over to a more experienced colleague to read and criticize it, expressing our opinion on a subject, all of this hurts As the writer Rubens Marcos Rodrigues said:“Thinking hurts!”We get used to reproducing existing thoughts, concepts, guidelines, and to accepting all orders as a vital condition for survival But,thinking about it,not everything has exactly the same size,color,or planned linearity This is the challenge:dealing with the unplanned.

I believe that navigating changes in our paths forces us to bring out the best in ourselves Being aware of this distinguishes us from artificial intelligence (AI), which is so much in the spotlight these days. I believe that, as Dr. Bogdana says, this young and dynamic scientific journal offers a valuable platform for members to practice and refine their skills in the art of the written and iconographic presentation of important and practical topics in the day-to-day life of dermatologists Beyond its concise articles, the journal features high-quality, detailed photographs While its online format offers advantages, it has also forced us to develop mechanisms and strategies to more frequently and naturally increase its visibility Because it is an open access journal, we attempt to promote it as much as possible to medical students, residents, postgraduate students, and particularly to members of the Brazilian Society of Dermatology (SBD) We welcome everyone’s help to broaden the journal’s reach.

We are a team of editors (Drs Bogdana Kadunc, Célia Kalil, andVitor Fabris) and dedicated reviewers.We have received much support from the Board of Directors of SBD and President Carlos Barcaui, from resource allocation for the English translation to the editing carried out at the Association’s headquarters by the technical team of Mr Nazareno Nogueira de Souza and the invaluable assistance of librarianVanessa Mafra While dealing with the dynamism of a modern world, with certainties that change all the time, we have learned to read and to be aware that success only comes before work in the dictionary,as Prof.Sampaio used to say

Enjoy your reading!

EDITORIAL

Author: Hamilton Ometto Stolf1

1 Universidade Estadual de Campinas (Unicamp), Campinas (SP), Brazil.

www.surgicalcosmetic.org.br/

Eyebrow lift with cosmetic procedures: how to approach it

Elevação dos supercílios com procedimentos cosmiátricos: como conduzir

Review Article

Authors:

Rebecca Ignacio Subirá Medina1

Gladstone Eustáquio de Lima Faria1 Ricardo Frota Boggio1

1 Instituto Boggio, Department of Cosmiatry, São Paulo (SP), Brazil

DOI: http://www.dx.doi.org/10.5935/scd1984-8773.2025170318

ABSTRACT

Eyebrow ptosis presents a significant challenge for cosmetic professionals. Minimally invasive procedures can improve eyebrow positioning; however, a thorough understanding of its varied etiologies is essential. The primary causes include skin laxity, muscular dysfunction, and tissue deflation, with the latter subdivided into frontal, temporal, and superciliary deflation. A precise diagnosis allows for the appropriate indication of microfocused ultrasound, botulinum toxin, biostimulators, and hyaluronic acid-based fillers, either as standalone treatments or in combination. At the end of this review, a treatment algorithm for eyebrow ptosis is proposed.

Keywords: Dermal Fillers; Botulinum Toxins; Eyebrows; Aesthetic Equipment.

RESUMO

A ptose dos supercílios é um verdadeiro desafio para os profissionais da cosmiatria. Procedimentos minimamente invasivos são capazes de melhorar o posicionamento dos supercílios, porém é essencial o entendimento das variadas etiologias. Entre as possíveis causas merecem destaque: flacidez de pele, causa muscular e deflação tecidual, sendo esta última subdividida em frontal, temporal e superciliar. Baseado em um correto diagnóstico poderão ser indicados ultrassom microfocado, toxina botulínica, bioestimuladores e preenchedores a base de ácido hialurônico, de forma isolada ou a combinação destes. Foi proposto, ao final da revisão, um algoritmo de tratamento para a ptose dos supercílios. Palavras-chave: Preenchedores Dérmicos; Toxinas Botulínicas Tipo A; Estética.

Correspondence:

Gladstone Eustáquio de Lima Faria E-mail: gladstonefaria@hotmail. com

Funding support: None. Conflict of interest: None.

Submitted on: 10/31/2023

Approved on: 07/04/2024

How to cite this article: Medina RIS, Faria GEL, Boggio RF. Eyebrow lift with cosmetic procedures: how to approach it. Surg Cosmet Dermatol. 2024;16:e20240318.

INTRODUCTION

In 1974, Westmore1 outlined the characteristics of the ideal eyebrow, and since then, various authors have sought to describe, in a more objective manner, what makes an eyebrow aesthetically appealing.2-4 Generally, these attributes play a significant role in facial beauty, particularly due to their ability to convey emotions and express individual identity.

Among the many changes that occur in this anatomical region with aging, eyebrow ptosis—especially affecting the lateral portion—stands out. It often imparts subjective impressions of fatigue and sadness, serving as a distinct hallmark of advanced age and contributing to a less attractive appearance.

Regarding its etiology, eyebrow ptosis may result from paralysis of various origins or occur as a natural part of the aging process. In the latter case, ptosis arises from a combination of structural changes affecting multiple layers of facial anatomy, including: 1) skin laxity; 2) the interplay of muscular traction forces; and 3) tissue deflation and bone resorption.

OBJECTIVE

Through a comprehensive literature review, this study aims to provide a deeper understanding of the aging process in the periorbital region, with a particular focus on eyebrow ptosis, as well as to propose a treatment protocol tailored to its primary etiologies.

THE STANDARD OF BEAUTY OF THE BROWS

In the quest to define ideal parameters for eyebrow shape and positioning, opinions among authors vary, and aesthetic criteria are not unanimously established in literature.5,6 The optimal arch position has been extensively debated,3,4,7–9 with most authors advocating that it should be positioned: 1) along a vertical line tangent to the lateral limbus of the iris1; 2) halfway between the lateral limbus of the iris and the lateral canthus of the eye2,10; or 3) above the lateral canthus of the eye.8

Most authors agree that male eyebrows should be straighter, without any noticeable arch.10 While some researchers suggest that the medial and lateral ends of female eyebrows should be at the same height,11 the prevailing consensus is both should be positioned above the supraorbital margin, with the lateral portion slightly higher than the medial. Conversely, male eyebrows are typically positioned along the supraorbital margin, appearing straighter, with the lateral end at the same level or just slightly above the medial end, and a uniform distribution of volume along their entire length.12

Studies assessing individual preferences for different eyebrow shapes have yielded varied results.4,13,14 Interestingly, many of these studies found that participants within the same age group shared similar aesthetic preferences.13,14

Regarding age-related changes in eyebrow positioning, some researchers have reported an increase in height along the mediopupillary line,1,15 while others found no significant change in eyebrow height,15,16 and some described a descent of the lateral portion.15

SEARCH STRATEGY

A literature search was performed on PubMed. The search terms and filters applied were as follows: ((“Eyebrow”[Title/ Abstract] OR “Eyebrows”[Title/Abstract] OR “Brow”[Title/ Abstract] OR “Brows”[Title/Abstract] OR “Periorbital”[Title/ Abstract] OR “upper third”[Title/Abstract] OR “upper face” [Title/Abstract] OR “Orbital”[Title/Abstract] OR “Temple” [Title/Abstract] OR “temples”[Title/Abstract] OR “Frontal” [Title/Abstract] OR “Forehead”[Title/Abstract] OR “upper third”[Title/Abstract]) AND (“botulinum toxin”[Title/Abstract] OR “botulinum toxins”[Title/Abstract] OR “botulinum neurotoxin a”[Title/Abstract] OR (“Sculptra”[Title/Abstract] OR “Radiesse”[Title/Abstract] OR “calcium hydroxyapatite”[Title/Abstract] OR “biostimulation”[Title/Abstract] OR “poly-lactic- acid”[Title/Abstract]) OR (“hyaluronic acid”[Title/Abstract] OR “dermal filler”[Title/Abstract] OR “dermal fillers”[Title/Abstract] OR “Filler”[Title/Abstract] OR “Fillers”[Title/Abstract]))) AND ((y_10[Filter]) AND (review[Filter] OR systematic review[Filter])).

This search retrieved 145 publications, which were screened based on their abstracts to assess their relevance to the theme of this article. Additionally, bibliographic references of the selected articles were reviewed for further relevant sources.

MUSCULAR TRACTION FORCES

The position of the eyebrows is influenced by various factors, particularly the balance of surrounding muscles. The occipitofrontalis is the sole elevator of the eyebrows, while several depressor muscles—including procerus, corrugator supercilii (bilaterally), orbicularis oculi, and depressor supercilii—act against it.

With aging, changes in facial mimic muscles can contribute to eyebrow ptosis. As the periosteum recedes, the outer surfaces of facial bones shift, altering the attachment sites of facial ligaments and muscles. Consequently, the muscles become straighter, potentially losing their mechanical advantage, which affects facial mimic dynamics.17 This process leads to reduced muscle amplitude and strength. However, while muscle contraction amplitude and strength decrease with age, resting muscle tone appears to increase.

The frontalis muscle is laterally limited by the temporal fusion lines, meaning that in the lateral eyebrow region, the combined effect of gravity and depressor muscle activity lacks opposition.18 This results in a cranio-caudal pull on the lateral portion of the eyebrows, particularly when skin laxity is present in the upper third of the face. Meanwhile, the medial eyebrow position is also influenced by the vertical traction of the frontalis muscle. Additionally, Knize suggested that the supraorbital and supratrochlear nerves may provide additional support to the medial eyebrow, helping to resist ptosis.18 Yun et al.19 proposed muscle activity patterns change with age. By comparing absolute muscle activity values across different age groups, the authors found that frontalis and corrugator muscle recruitment was

Surg Cosmet Dermatol. 2025;v.17: n.1 jan-mar. p.12-23.

lower in older participants, consistent with age-related muscle weakening. In contrast, elderly individuals exhibited increased activity in the orbicularis oculi, suggesting an enhanced downward pull, which may contribute to eyebrow ptosis.19

TISSUE DEFLATION AND BONE RESORPTION

In 2007, Rohrich and Pessa20 introduced the concept of facial fat compartmentalization, proposing that these compartments age differently and non-uniformly. Their study identified three superficial fat compartments in the forehead—a central segment and two lateral segments—all located between the skin and the superficial fascia of the occipitofrontalis muscle, separated by fibrous protective sheaths surrounding the supraorbital neurovascular structures.

Subsequent studies identified five deep forehead fat compartments: a central compartment, two lateral compartments (also separated by the supraorbital neurovascular bundles, positioned between the fascia covering the posterior surface of the frontalis muscle and the periosteum), and two additional compartments corresponding to the retro orbicularis oculi fat (ROOF), present bilaterally.21,22 ROOF is confined to the area between the inferior frontal septum and the upper portion of the orbit retaining ligament, with its lateral boundary at the temporal ligamentous attachments and medial boundary at the supraorbital neurovascular structures.21

The temporal fossae are bilateral depressions of the cranial vault, anatomically bounded by the temporal crest, lateral orbital rim, zygomatic arch, and posteriorly by the hairline. This region contains eleven anatomical layers, including three fat compartments: 1) the superficial temporal fat compartment, containing subcutaneous tissue; 2) the middle layer of temporal fat; and 3) the 3) deep layer of temporal fat, corresponding to the temporal portion of the buccal fat pad.21

Facial fat is thought to atrophy with age, especially in deep compartments. One possible explanation is the continuous compression of deep fat compartments between bone and overlying musculature.21 As a result, eyebrow positioning is particularly affected by volume depletion in the deep forehead fat compartments, temporal fat compartments, and ROOF.

The facial skeleton also plays a crucial role in supporting adjacent soft tissues, providing stability and definition. Beyond fat atrophy and displacement, the skull undergoes predictable remodeling with age, including changes in the eye orbit. The orbital opening increases over time, but bone resorption is not uniform along its margins. The inferolateral and superomedial regions experience greater resorption, with the inferolateral region changing earlier. Interestingly, in men, the inferomedial quadrant of the orbit recedes more significantly over time than in women.23 Meanwhile, the central portions of the upper and lower orbital margins remain relatively stable, exhibiting little to no bone resorption throughout life.23

In youthful individuals, the temporal region has a convex and continuous shape relative to the zygomatic arch, creating a

smooth lateral orbital contour. However, with age, the temporal region becomes more concave, making the bony contour of the lateral orbital margin more pronounced. As a result, the tail of the eyebrow is pulled posteriorly and inferiorly, contributing to a heavier periorbital appearance and an aged facial look.

SKIN SAGGING

Aging-related changes in the extracellular matrix (ECM) are particularly significant in cutaneous aging, as the ECM is primarily composed of collagen types I and III, which play a crucial role in maintaining skin support and integrity.24

Decades ago, the ECM was considered an inert, metabolically inactive substance, merely a structural glue that bound tissues and supported cells.25 However, this perception has been radically revised. The ECM is now recognized as a highly dynamic system composed of proteins, glycosaminoglycans, and metabolically active cells that maintain a continuous equilibrium under physiological conditions.

During aging, the ECM undergoes gradual degradation, largely due to the increased activity of matrix metalloproteinases (MMPs), enzymes that regulate ECM remodeling. This process is observed in both intrinsic and extrinsic aging. MMP overactivity leads to the breakdown and fragmentation of collagen and elastin fibers, reducing their quantity and quality, which in turn causes a loss of skin elasticity and firmness, ultimately resulting in sagging and soft tissue ptosis.26,27

Emerging evidence suggests that dermal fibroblast aging is not solely a consequence of cellular senescence but is instead linked to their progressive loss of interaction with the ECM. This phenomenon occurs due to years of MMP-induced degradation, exacerbated by oxidative metabolism and accelerated by oxidative stress, primarily caused by ultraviolet (UV) radiation exposure.28

As fibroblasts lose their ability to bind to fragmented collagen, they collapse and undergo functional impairment. These collapsed fibroblasts produce low levels of collagen while simultaneously increasing the secretion of collagen-degrading enzymes. Consequently, once a critical threshold of collagen loss is reached, this imbalance perpetuates a self-sustaining cycle of progressive ECM deterioration and aging.29

A decrease in skin tension and elasticity, compounded by the effects of gravity, volumetric deflation of the upper third of the face, and muscular traction forces, contributes to the downward displacement of the eyebrows. Therefore, treatments that enhance the ECM microenvironment, preserving its physiological functions, as well as interventions that stimulate collagen and elastin production, may contribute to eyebrow repositioning.

PROPOSED TREATMENTS FOR EYEBROW REPOSITIONING AND RESHAPING

Based on the literature review presented in this article, we propose that the optimal strategy for minimally invasive eyebrow repositioning and shape enhancement consists of three dis-

tinct approaches: 1) treatments targeting skin quality and laxity improvement; 2) treatments optimizing muscular traction balance in the upper third of the face to achieve the desired eyebrow positioning; 3) treatments addressing tissue deflation through volumization.

Accordingly, we present a treatment algorithm for eyebrow lift, based on the authors’ selection of key techniques for each approach.

IMPROVEMENT OF SKIN QUALITY AND CUTANEOUS SAGGING

MICROFOCUSED ULTRASOUND

In 2009, microfocused ultrasound (MFU) received US Food and Drug Administration (FDA) approval for brow lifting.30 The mechanism of action of MFU involves delivering acoustic energy to the target tissue, generating molecular vibration and friction. Part of this mechanical energy is converted into thermal energy, raising tissue temperature above 60°C—a threshold necessary for collagen denaturation. This process creates small foci of thermal injury, stimulating neocollagenesis.31-34

Unlike other non-invasive tissue-tightening modalities, MFU is distinguished by its minimal downtime, precise energy delivery, and deeper penetration. The superficial musculoaponeurotic system (SMAS) is an attractive treatment target due to its viscoelastic properties35 and lifting capacity.

Regarding MFU for brow lifting, we believe the most logical approach is to apply this technology to the dermal layers of the forehead, temple, and periorbital regions. Since the average skin thickness in these areas does not exceed 2 mm,36 we recommend using transducers with depths up to this level. Deeper transducers may fail to adequately target the treatment area, potentially increasing discomfort and the risk of adverse effects.

A crucial consideration when treating the temple region is the potential risk of injuring the temporal branch of the facial nerve. This branch is exclusively motor and innervates the superior and anterior auricular muscles, the frontal belly of the occipitofrontalis, the orbicularis oculi, and the corrugator muscles. Injury to this nerve can result in muscle paralysis in the affected hemiface.21,37

When performing MFU treatment, several parameters must be customized based on the desired effect and individual patient characteristics. The number of coagulation points, spacing between points (“pitch”), depth, energy level, and point distribution within the treatment area are key factors influencing results.

Additionally, patient expectations should be carefully managed, as outcomes depend on individual factors such as the degree of cutaneous laxity, ECM quality, age, and lifestyle habits, all of which influence neocollagenesis capacity.

INJECTABLE COLLAGEN BIOSTIMULATORS

Injectable collagen biostimulators are substances that provide a lifting effect by increasing dermal thickness and stimulating the production of collagen and elastin fibers.38 Many experts, including the authors of this article, agree that poly-L-lactic acid (PLLA) and calcium hydroxyapatite (CaHA) can be used in various facial and body areas, as both appear to yield satisfactory collagen enhancement results.38–43 However, some questions remain regarding their comparative efficacy and whether one substance provides superior results in specific anatomical regions.38

For upper-face treatments, we recommend limiting the use of biostimulators to the temporal region, as injections into the forehead or periorbital area carry a higher risk of adverse effects, such as subcutaneous nodule formation, due to greater muscular activity in these areas.44

Because of the anatomical characteristics of the temporal region, cosmetic professionals should consider PLLA is a liquid product (reconstituted with sterile distilled water) and contains very small particles, which theoretically pose a lower risk of vascular occlusion, even in small vessels, compared to CaHA.

Regarding the injection plane, histological studies in animals comparing collagen production after intradermal versus subdermal injections have shown that intradermal application produces a greater amount of collagen.38,45 However, the intradermal plane also presents a higher risk of adverse effects, such as nodule formation and irregularities, compared to the subdermal plane.46,47 Therefore, we recommend the subdermal plane for the application of biostimulators (Figure 1).

THREAD-LIFTING TECHNIQUES

Thread-lifting is a cosmetic procedure in which barbed threads are used to lift and rejuvenate facial tissues. Current research identifies two primary mechanisms by which thread-lifts achieve long-lasting effects. First, the threads anchor surrounding soft tissue, transferring tension to lift and reshape facial contours. Second, as the threads degrade, they stimulate the production of collagen and elastin fibers, providing semi-permanent tissue suspension.

Various brands offer thread-lifting products with different properties. Initially, polypropylene (PP) was widely used due to its nonabsorbable nature, taking over a year to degrade. More recently, absorbable materials such as polycaprolactone (PCL), polylactic acid (PLA), polyglycolic acid (PGA), and polydioxanone (PDO) have become more popular due to their biodegradable properties in facial rejuvenation procedures.48

Based on previous clinical experience, the ideal characteristics of barbed thread for facial thread-lifting include: 1) being absorbable and long-lasting; 2) having appropriately shaped barbs; 3) possessing suitable elastic modulus and mechanical strength; and 4) eliciting appropriate biological responses.

No direct comparative study in medical literature comprehensively evaluates all available thread brands based on these characteristics.48

Figure 1: Schematic representation of the course of the superficial temporal artery in the face. On the right, note that the entry point for the injection cannula allows the product to be distributed along vectors that cross the topography of the artery at a more perpendicular angle, reducing vascular risk for both collagen biostimulator treatments and subdermal hyaluronic acid injections in the temples

While the long-term lifting effects of thread-lifting remain debatable, studies confirm that this technique is effective in promoting neocollagenesis.49–51 This is a significant advantage, particularly for eyebrow repositioning, since injectable biostimulators are not recommended for application in the frontal region.

Beyond material composition, threads vary in insertion method—whether via needles or cannulas. Cannulas have been shown to provide greater patient comfort, less pain, and fewer complications compared to needles, making them the preferred method. Cogged or beaded threads are typically inserted using wider cannulas, whereas needles, while easier to pass, can lead to increased bruising. Procedures such as Silhouette Soft™ require both entry and exit points, necessitating anesthesia at both sites.52

Threads also differ in shape and barb direction.Variants include simple filament threads, barbed (cogged) threads with spines along the same axis, threads with rotating spines along the thread axis, cogged threads with cones, and cogged threads with arrow-shaped spines. Additionally, threads with barbed sutures are often preferred for securing lifts. The direction of cogs or cones can be either unidirectional or bidirectional. Barbs may be replaced with cones in bidirectional threads, such as Silhouette Soft™.52 Cogged (barbed) threads are primarily used for brow lifting.

This article does not delve into specific eyebrow-lifting techniques using threads, as these methods vary significantly based on the type of thread chosen and the patient’s anatomical characteristics. However, we emphasize that the key to success in all thread-lifting techniques is careful planning of lifting points and proper thread placement within the appropriate anatomical plane to optimize results and minimize complications.

For PDO thread insertion in eyebrow lift, the subdermal or subcutaneous plane is ideal,53 as these layers provide direct support to the skin, effectively lifting the eyebrows. Additionally, they minimize the risk of injury to underlying nerves and blood vessels, reducing potential complications. A thorough understanding of local anatomy is essential for precise thread placement.

Thus, the subdermal plane offers a safe, reliable site for thread insertion as it lies superficial to the facial musculature, avoiding deeper structures.21 By adhering to this anatomical plane, practitioners can achieve optimal lifting effects with a lower risk of adverse events.

We also advocate for the prior use of botulinum toxin in the upper third of the face. This approach serves as a complementary measure to thread-lifting procedures, as botulinum toxin selectively weakens specific facial muscles, reducing the li-

kelihood of thread displacement due to muscle contraction. This combined strategy not only enhances the longevity and effectiveness of the thread lift but also improves aesthetic harmony and patient satisfaction with the outcome.

BALANCING MUSCULAR TRACTION IN THE UPPER THIRD OF THE FACE

Botulinum toxin injection remodels the eyebrows through three distinct mechanisms: 1) when the lateral depressor muscles are injected, selective paralysis of the depressors results in unopposed elevation of the brow by the frontalis muscle; 2) when the medial depressor muscles are injected, toxin diffusion into the medial frontalis fibers causes partial paralysis of the medial frontalis and increased tone in the lateral frontalis fibers, leading to brow elevation; and 3) when the frontalis muscle is injected along with the brow depressors, the potential brow elevation by the frontalis muscle is attenuated, sometimes resulting in paradoxical brow depression.54

Since botulinum toxin acts at the neuromuscular junction, muscles with a higher concentration of neuromuscular junctions are more sensitive to the toxin.The region where neuromuscular junctions are distributed within a muscle is known as the zone of innervation.55 If neuromuscular junctions were evenly distributed, the zone of innervation would be diffuse. However, if junctions cluster in well-defined areas, the zones of innervation are considered focal.

When zones of innervation are focal, precise botulinum toxin injection into these areas should maximize muscle relaxation. Therefore, our treatment recommendation for each muscle involved in brow lifting is as follows: the dose should be determined based on individual muscle strength assessment, while injection spacing should account for the expected diffusion halo, which depends on the toxin type, dilution, and planned dose (Figure 2).56,57

PROCERUS MUSCLE

For the treatment of the procerus muscle, we recommend a single injection point in the muscular belly.

CORRUGATOR SUPERCILII MUSCLES

We suggest one to three injection points per side, with the number of injection sites determined by muscular palpation and inspection during contraction. The injection point near the muscular origin (“head” of the corrugator) should be deeper, considering its bony origin.²¹ Conversely, the closer the injection point is to the muscular insertion (“tail” of the corrugator), the more superficial it should be, as the muscle inserts into the skin.21

The fibers of the occipitofrontalis muscle in the region above the eyebrows also have cutaneous insertion. In this area, there is a crossing of fibers from the corrugator supercilii, occipitofrontalis, and orbicularis oculi muscles.21 Consequently, injectors should be cautious of toxin diffusion into the occipitofrontalis muscle, which could result in brow drooping at this

point. On the other hand, some studies suggest that paralyzing the central portion of the frontalis muscle can lead to increased tone in the lateral frontalis fibers, which may be beneficial in elevating the lateral portion of the brows as part of a brow lift strategy.54

DEPRESSOR SUPERCILLI MUSCLES

The depressor supercilii muscle is one of the glabellar muscles. It originates from the bony process of the maxilla and has one to two heads, which insert into the skin below the medial portion of the brow.58,59 It acts synergistically with the superomedial portion of the orbicularis oculi muscle and the corrugator supercilii muscle, contributing to inferomedial retraction of the brow.58

Additionally, the depressor supercilii plays a role in the formation of oblique expression lines, working alongside the procerus muscle and the medial portion of the orbicularis oculi muscle.58,60 For effective blocking of this muscle, botulinum toxin injection is performed approximately 10 to 15 mm above the medial canthal tendon, either to lift the medial portion of the brow or to reduce oblique glabellar wrinkles.61

OCCIPITOFRONTALIS MUSCLE

As the sole muscle responsible for eyebrow elevation, the occipitofrontalis muscle must be treated with caution.To achieve this effect, we recommend targeting its central portion, which helps to reduce frontal wrinkles and may contribute to compensatory increased tone in the lateral portions of the muscle, thereby assisting in the elevation of the lateral portion of the eyebrows.

Cotofana et al.62 described a bidirectional movement of forehead skin during occipitofrontalis contraction: the lower forehead skin moves cranially, while the upper forehead skin moves caudally.These movements converge at a static and immobile line, referred to as the convergence line (C-line). To minimize the risk of eyebrow ptosis, botulinum toxin should be injected above the C-line while avoiding injections below it.62 Thus, laterally to the intended eyebrow elevation point (typically corresponding to the arching point), the frontalis muscle should only be treated above its convergence line,62 when identified.

In some patients, not treating the lower lateral portions of the frontalis muscle may lead to dissatisfaction due to the persistence or even exacerbation of wrinkles in these areas. In such cases, managing patient expectations and balancing wrinkle treatment with brow lifting is essential. If necessary, these areas can be treated using microdoses of botulinum toxin, a technique known as microbotox.63

Microbotox involves injecting multiple points of diluted botulinum toxin into small intradermal aliquots.64 This approach targets the superficial fibers of facial muscles, weakening their insertion into the skin’s surface, which is responsible for fine lines and wrinkles. Since the three-dimensional nature of toxin diffusion, excessive intradermal dosing may lead to unintended

Figure 2: Schematic representation of the botulinum toxin injection points in the upper third of the face. A - The Convergence Line (C-Line) represents the horizontal plane where the two portions of the occipitofrontalis muscle meet, one moving in a cranio-caudal direction and the other in a caudo-cranial direction. For eyebrow lifting, botulinum toxin injections below this reference line should be approached with caution, especially in the lateral portion of the intended eyebrow arching point (generally located between the lateral canthus of the eye and the lateral edge of the iris). B - When treating the orbicularis oculi muscle for lateral eyebrow elevation, injections should target its lateral and superolateral portions. Special attention should be given to the diffusion halo of the toxin, particularly at the highest injection point, which must always be lateral to the lateral boundary of the occipitofrontalis muscle (represented here by the temporal crest)

muscle weakness or loss of facial mimetic activity in the treated areas. This effect could result in drooping of the lateral eyebrow portion if the microbotox technique is used too close to this anatomical region.63

ORBICULARIS OCULI MUSCLES

The zone of innervation of the orbicularis oculi muscle appears to be diffuse, making it beneficial to use multiple injection points for optimized blocking.55 A motor point is defined as a small area on the skin near a specific muscle where the threshold for electrical excitability of that muscle is lower. In the study by Borodic,55 two consistent motor points of the orbicularis oculi muscle were identified across all observed cases. The first motor point was located in the superolateral portion at the level of the upper eyelid sulcus, while the second motor point was found in the inferomedial portion, near the anterior lacrimal crest.55

Additionally, injection point positioning should consider the specific function of each portion of the orbicularis oculi muscle. For brow lift, priority should be given to treating the lateral and upper portions of this muscle.21

Therefore, we recommend treating the orbicularis oculi muscle with multiple intramuscular injection points, focusing on its lateral and upper portions. Special care should be taken to prevent toxin diffusion into the lateral portion of the occipitofrontalis muscle, as this could result in brow tail ptosis.

To minimize this risk, the injector should first establish the point from which brow lift is desired—typically corresponding to the arching point—and avoid treating the frontalis muscle lateral to this point, or at least in the area below the previously mentioned C-line.

When injecting the superolateral portion of the orbicularis oculi muscle, we recommend using a highly precise toxin, with a dilution and dosage strategy that effectively reduces the chance of diffusion, ensuring optimal results while minimizing adverse effects.56,57

VOLUMIZATION OF THE UPPER THIRD OF THE FACE

The next strategy for eyebrow repositioning involves addressing tissue deflation, if present. We recommend performing this step for at least 14 days after botulinum toxin treatment, once the desired effects of neuromodulation have been achieved.

Three anatomical regions should be evaluated for volumization: the temples, forehead, and lateral portion of the eyebrows. Treatment indications should be assessed individually for each patient based on their specific needs.

If volumization is required in more than one of these areas, we suggest prioritizing the temples first, followed by the forehead, and finally the tail of the eyebrows.

TEMPORAL REGION

Casabona et al.65 retrospectively evaluated the effects of three hyaluronic acid temple-filling techniques, categorized by injection planes: subdermal, interfascial, and supraperiosteal. Each injection plane influenced facial aging changes to varying degrees, with the interfascial plane yielding superior results for eyebrow repositioning.65

The anatomy team of Instituto Boggio (São Paulo, Brazil) conducted a cadaveric study66 to replicate the interfascial injection technique.67 In this study, 89% of injections were performed in the incorrect layer, and in one case, the superficial temporal artery was transfixated by the cannula. The authors noted differences between performing procedures on freshly frozen cadaver specimens and live patients. However, given the anatomical complexity of the temporal region and the lack of established safety for reproducibility of the interfascial technique, our group considers this approach to carry a high risk of vascular complications and therefore avoids its use.

Our treatment algorithm recommends that temporal volumetric correction, when necessary, be performed through hyaluronic acid deposition in the supraperiosteal and subdermal planes, with the supraperiosteal plane reserved for cases with more significant deflation. Thus, we propose the following techniques.

SUPRAPERIOSTEAL PLANE

According to the technique described by Swift, a single injection point is made approximately 1 cm lateral to the temporal fusion line and 1 cm above the supraorbital margin, parallel to it. Before injecting, digital palpation is recommended to detect arterial pulsation and reduce the risk of significant vascular complications.67,68

After the needle reaches the temporal bone, aspiration is performed, followed by a slow bolus injection while maintaining continuous contact with the periosteum. For this technique, the use of high G’ and high cohesiveness hyaluronic acid fillers is recommended to ensure circumferential product dispersion while still achieving effective elevation of the overlying tissues.69 The author of this technique recommends using an average of 0.25 to 0.75 mL per temple.

Cotofana et al.70 suggested injection into the temporal compartment generally requires more than 0.5 mL per side to produce a visible change in surface projection, which aligns with the clinical experience of the authors of this article (Figure 3A).

Many authors consider the supraperiosteal plane safe for injection due to the major vessels, such as the superficial temporal artery and the middle temporal vein, running through more superficial planes. However, branches of the deep temporal artery course between the temporal muscle and the periosteum, posing a potential vascular risk for deep injections in this region.71–73

The deep temporal artery, a branch of the maxillary artery, may anastomose with various arteries in the region, including the lacrimal, supraorbital, and middle meningeal arte-

ries.21,74,75 Another important artery that may be present in the temporal region is the zygomatico-orbital artery, a bifurcation of the superficial temporal artery, sometimes emerging from its frontal or parietal branches.This sizable artery is typically described as running parallel and superior to the upper border of the zygomatic arch.21,76 However, in the study by Park et al.,76 the zygomatico-orbital artery followed a course along a line passing through the tragus and the supraorbital ridge, at approximately ±1 cm from this line.

Freytag et al.77 injected 20 hemifaces of fresh cadaveric specimens. The deep temporal injection was performed with a 25G needle, keeping constant contact with bone. Upon subsequent dissection, most of the product was found inside the temporal muscle, which the authors attributed to retrograde flow along the injection canal of the needle.

In our opinion, due to the extremely thin layers of the anatomical structures in the temple, positioning the needle perpendicular to the supraperiosteal plane may result in the bevel being partially within the intramuscular plane, even when the needle tip is in direct contact with the periosteum. This could explain misplaced injections.

In addition, the use of aspiration as a safeguard against vascular complications is highly controversial. The thicker consistency of certain fillers can lead to inconsistent aspiration results, requiring greater suction pressure and longer aspiration time to obtain a positive result. Therefore, a negative aspiration test (absence of blood in the needle hub) should not be relied upon alone, as the likelihood of a false-negative result is high.78

Therefore, we emphasize there is no consensus regarding the safety of supraperiosteal injections in the temples.Vascular complications in this region could result in shunting between the internal and external carotid systems, and injecting physicians must remain highly vigilant to the possibilities of anatomical variations.

SUBDERMAL PLANE

For subdermal injection, this algorithm follows the technique described in the study by Faria et al.79 In this approach, hyaluronic acid is deposited in the subdermal plane through multiple linear retroinjections using a 22G cannula, with the entry point located in the inferolateral region of the orbit.

According to this technique, the various injection vectors form a larger angle relative to the path of the superficial temporal artery, which enhances vascular safety compared to other cannula entry points.79

For this filling plane, we recommend using high-cohesiveness hyaluronic acid products with low to medium G’, depending on the thickness of the skin in the temporal region being treated (Figure 1).

FRONTAL REGION

To contribute to eyebrow lift, we recommend filling the deep fat compartments of the forehead whenever concavity is

3: Schematic representation of supraperiosteal hyaluronic acid filler injection points. A - The “Swift” point is located 1 cm above the superior orbital rim and 1 cm lateral to the temporal fusion line. B - Supraperiosteal injection points above the superior orbital rim: Injection point 1 is aligned with a vertical line tangent to the lateral limbus of the iris, while injection point 2 is located 1 cm lateral to point 1

observed in this area. Typically, the injection site is in the vertical middle third of the forehead. In this region, the supraorbital and supratrochlear vessels become more superficial, increasing the risk of intravascular injection. To mitigate this risk, filler should be placed in the subgaleal plane, positioned immediately above the periosteum.68

For this technique, we recommend injecting hyaluronic acid using a 22G cannula, with the entry point positioned lateral to the injection area. The filler should be deposited as several small boluses of a high G’ and high-cohesiveness product. After injection, manual massage should be performed to ensure better product distribution and accommodation.

In addition to skin distension and eyebrow traction, volumization beneath the occipitofrontalis muscle enhances its activity through a mechanism known as myomodulation.79,80

LATERAL PORTION OF THE EYEBROWS (ROOF)

The goal of filling the lateral portion of eyebrow is to restore volume in the ROOF. This fat pad defines the shape of the eyebrow and the upper eyelid above the supratarsal crease.68,81 Loss of volume in this compartment contributes to deflation and descent of the eyebrow tail.82,83

For this procedure, a cannula entry point is created immediately lateral to the eyebrow. A 22G cannula is inserted pa-

rallel to the supraorbital rim, just above the bone, advancing to an appropriate clinically assessed distance. The filler should be placed laterally to the supraorbital neurovascular bundle to avoid injury and deep to the orbicularis oculi muscle. To enhance precision and minimize complications, the eyebrow is elevated with the nondominant hand, moving it away from the orbital rim.69

The filler should be deposited gradually, either in an anterograde or retrograde manner, ensuring placement above the orbital rim. The push-ahead technique, performed with anterograde injection, allows the material to lift the area in front of the cannula tip, reducing the risk of bruising.84 We suggest depositing the product in several small boluses.

After injection, manual shaping of the filler is performed to enhance symmetry, ensure homogeneity, and optimize anterior projection.

“STAKE” POINT FOR THE EYEBROWS

To further enhance the eyebrow lift, we recommend adding supraperiosteal injection points along the superior orbital rim at the precise locations where lifting is desired, while ensuring anatomical safety.

Typically, we suggest placing the first injection point along a vertical line aligned with the lateral limbus of the iris, and the second point approximately 1 cm lateral to it.

Figure

To prevent anterior eyebrow projection, these injections should be performed just above the supraciliary crest, where a palpable depression can be identified in the frontal bone (Figure 3B).

CONCLUSION

Eyebrow ptosis is not a universal occurrence in the aging process, but when present, it is typically more pronounced in the lateral third of the eyebrows. This condition results from a com-

bination of anatomical and physiological changes affecting multiple tissue layers. Because of this complexity, botulinum toxin alone may not always be sufficient to achieve the desired eyebrow lift. A thorough and individualized assessment is essential to determine which aging-related changes predominate in each patient. By doing so, we can select the most appropriate tools and techniques for each case. Hence, we propose an algorithm for eyebrow repositioning using minimally invasive procedures (Figure 4). l

REFERENCES:

1. Westmore M. Facial cosmetics in conjunction with surgery. In: Aesthetic Plastic Surgical Society Meeting; 1974; Vancouver, British Columbia.

2. Wolfort FG, Gee J, Pan D, Morris D. Nuances of aesthetic blepharoplasty. Ann Plast Surg. 1997;38(3):257-262.

3. Gunter JP, Antrobus SD. Aesthetic analysis of the eyebrows. Plast Reconstr Surg. 1997;99(7):1808-1816.

4. Roth JM, Metzinger SE. Quantifying the arch position of the female eyebrow. Arch Facial Plast Surg. 2003;5(3):235-239.

5. Kunjur J, Sabesan T, Ilankovan V. Anthropometric analysis of eyebrows and eyelids: an inter-racial study. Br J Oral Maxillofac Surg. 2006;44(2):89-93.

6. Freund RM, Nolan WB. Correlation between brow lift outcomes and aesthetic ideals for eyebrow height and shape in females. Plast Reconstr Surg. 1996;97(7):1343-1348.

7. Flowers RS, Flowers SS. Precision planning in blepharoplasty. The importance of preoperative mapping. Clin Plast Surg. 1993;20(2):303-310.

8. Cook TA, Brownrigg PJ, Wang TD, Quatela VC. The versatile midforehead browlift. Arch Otolaryngol Head Neck Surg. 1989;115(2):163- 168.

9. Artz JS, Dinner MI, Foglietti MA. Planning the aesthetic foreheadplasty. Ann Plast Surg. 1990;25(1):1-6.

10. Tolleth H. Concepts for the plastic surgeon from art and sculpture. Clin Plast Surg. 1987;14(4):585-598.

11. Van den Bosch WA, Leenders I, Mulder P. Topographic anatomy of the eyelids, and the effects of sex and age. Br J Ophthalmol. 1999;83(3):347-352.

12. Maio M, Swift A, Signorini M, Fagien S. Facial assessment and injection guide for botulinum toxin and injectable hyaluronic acid fillers: focus on the upper face. Plast Reconstr Surg. 2017;140(2):265e-276e.

13. Feser DK, Gründl M, Eisenmann-Klein M, Prantl L. Attractiveness of eyebrow position and shape in females depends on the age of the beholder. Aesthetic Plast Surg. 2007;31(2):154-160.

14. Richer V, Berkowitz, Almeida AT. Eyebrow shape preference across age, gender, and self-reported ethnic Group. Dermatol Surg. 2023;49(2):171-176.

15. Matros E, Garcia JA, Yaremchuk MJ. Changes in eyebrow position and shape with aging. Plast Reconstr Surg. 2009;124(4):1296-1301.

16. Goldstein SM, Katowitz JA. The male eyebrow: a topographic anatomic analysis. Ophthalmic Plast Reconstr Surg. 2005;21(4):285-291.

Figure 4: Eyebrow ptosis treatment: proposed algorithm

Surg Cosmet Dermatol. 2025;v.17: n.1 jan-mar. p.12-23.

17. Mendelson B, Wong CH. Changes in the facial skeleton with aging: implications and clinical applications in facial rejuvenation. Aesthetic Plast Surg. 2012;36(4):753-760.

18. Knize DM. An anatomically based study of the mechanism of eyebrow ptosis. Plast Reconstr Surg. 1996;97(7):1321-1333.

19. Yun S, Son D, Yeo H, Kim S, Kim J, Han K, et al. Changes of eyebrow muscle activity with aging: functional analysis revealed by electromyography. Plast Reconstr Surg. 2014;133(4).

20. Rohrich RJ, Pessa JE. The fat compartments of the face: anatomy and clinical implications for cosmetic surgery. Plast Reconstr Surg. 2007;119(7):2219-2227.

21. Boggio R, Núcleo de Anatomia do Instituto Boggio. Anatomia Facial Aplicada. 1st . Di Livros Editora Ltda. 2022.

22. Cotofana S, Mian A, Sykes JM, Redka-Swoboda W, Ladinger A, Pavicic T, et al. An update on the anatomy of the forehead compartments. Plast Reconstr Surg. 2017;139(4):864e-872e.

23. Kahn DM, Shaw RB. Aging of the bony orbit: a three-dimensional computed tomographic study. Aesthet Surg J. 2008;28(3):258-264.

24. Lohwasser C, Neureiter D, Weigle B, Kirchner T, Schuppan D. The receptor for advanced glycation end products is highly expressed in the skin and upregulated by advanced glycation end products and tumor necrosis factor- alpha. J Invest Dermatol. 2006;126(2):291-299.

25. Uitto J, Olsen DR, Fazio MJ. Extracellular matrix of the skin: 50 years of progress. J Invest Dermatol. 1989;92(4):S61-S77.

26. Lee H, Hong Y, Kim M. Structural and functional changes and possible molecular mechanisms in aged skin. Int J Mol Sci. 2021;22(22):12489.

27. Reilly DM, Lozano J. Skin collagen through the lifestages: importance for skin health and beauty. Plast Aesthet Res. 2021;8:2.

28. Cole MA, Quan T, Voorhees JJ, Fisher GJ. Extracellular matrix regulation of fibroblast function: redefining our perspective on skin aging. J Cell Commun Signal. 2018;12(1):35-43.

29. Shanina NA, Patrushev AV, Zorman A. Histological and immune histochemical changes in facial skin treated with combined ablative and non-ablative laser therapy. J Cosmet Dermatol. 2021;20(11):3509-3516.

30. lkan A, Fabi S, Green J. Microfocused Ultrasound for Facial photo rejuvenation: a review. Facial Plast Surg. 2016;32(03):269-275.

31. Bozec L, Odlyha M. Thermal denaturation studies of collagen by microthermal analysis and atomic force microscopy. Biophys J. 2011;101(1):228-236.

32. Minkis K, Alam M. Ultrasound skin tightening. Dermatol Clin. 2014;32(1):71-77.

33. Alam M, White LE, Martin N, Witherspoon J, Yoo S, West DP. Ultrasound tightening of facial and neck skin: a rater-blinded prospective cohort study. J Am Acad Dermatol. 2010;62(2):262-269.

34. White WM, Makin IRS, Barthe PG, Slayton MH, Gliklich RE. Selective creation of thermal injury zones in the superficial musculoaponeurotic system using intense ultrasound therapy. Arch Facial Plast Surg. 2007;9(1):22-29.

35. Har-Shai Y, Bodner SR, Egozy-Golan D, Lindenbaum ES, Ben-Izhak O, Mitz V, et al. Viscoelastic properties of the superficial musculoaponeurotic system (SMAS): a microscopic and mechanical study. Aesthet Plast Surg. 1997;21(4):219-224.

36. Meng Y, Feng L, Shan J, Yuan Z, Jin L. Application of high-frequency ultrasound to assess facial skin thickness in association with gender, age, and BMI in healthy adults. BMC Med Imaging. 2022;22(1):113.

37. Silva MLA, Aboudib JH, Castro CC. Anatomia aplicada do ramo temporal do nervo facial: estudo do risco potencial de lesão durante a cirurgia do rejuvenescimento facial. Rev Bras Cir Plast. 2010;25(4):604-613.

38. Cunha MG, Engracia M, Souza LG, Machado Filho CD. Bioestimuladores e seus mecanismos de ação. Surg Cosmet Dermatol. 2020;12(2).

39. Corduff N, Chen JF, Chen YH, Choi HS, Goldie K, Lesthari, et al. Pan-asian consensus on calcium hydroxyapatite for skin biostimulation, contouring, and combination treatments. J Clin Aesthet Dermatol. 2021;14(8):E76-E85.

40. Haddad A, Menezes A, Guarnieri C, Coimbra D, Ribeiro E, Sarubi J, et al. Recommendations on the use of injectable poly-L-lactic acid for skin laxity in off-face areas. J Drugs Dermatol. 2019;18(9):929-935.

41. Casabona G, Pereira G. Microfocused ultrasound with visualization and calcium hydroxylapatite for improving skin laxity and cellulite appearance. Plast Reconstr Surg Glob Open. 2017;5(7):e1388.

42. Goldie K, Peeters W, Alghoul M, Butterwick K, Casabona G, Chao YYY, et al. Global consensus guidelines for the injection of diluted and hyperdiluted calcium hydroxylapatite for skin tightening. Dermatol Surg. 2018;44(1):S32-S41.

43. Vleggaar D, Fitzgerald R, Lorenc ZP. Consensus recommendations on the use of injectable poly-L-lactic acid for facial and nonfacial volumization. J Drugs Dermatol. 2014;(4 Suppl):s44-51.

44. Almeida AT, Figueredi V, Cunha ALG, Casabona G, Faria JRC, Alves EV, et al. Consensus recommendations for the use of hyperdiluted calcium hydroxyapatite (radiesse) as a face and body biostimulatory agent. Plast Reconstr Surg Glob Open. 2019;7(3):e2160.

45. Fenske NA, Lober CW. Structural and functional changes of normal aging skin. J Am Acad Dermatol. 1986;15(4):571-585.

46. Breithaupt A, Fitzgerald R. Collagen stimulators: poly-L-lactic acid and calcium hydroxyl apatite. Facial Plast Surg Clin North Am. 2015;23(4):459-469.

47. Hevia O. A retrospective review of calcium hydroxylapatite for correction of volume loss in the infraorbital region. Dermatol Surg. 2009;35(10):1487- 1494.

48. Cao L, Qiu H, Yu D, Shuo L, Wang H. Comparison of different thread products for facial rejuvenation: Materials and barb designs. J Cosmet Dermatol. 2023;22(7):1988-1994.

49. Tong LX, Rieder EA. Thread-lifts: a double-edged suture? A comprehensive review of the literature. Dermatol Surg. 2019;45(7):931-940.

50. Obourn CA, Williams EF. A decade of thread-lifting—what have we learned over the last 10 years? JAMA Facial Plast Surg. 2018;20(5):349-350.

51. Rachel JD, Lack EB, Larson B. Incidence of complications and early recurrence in 29 patients after facial rejuvenation with barbed suture lifting. Dermatol Surg. 2010;36(3):348-354.

52. Felipe I. Eyebrow thread lifting. In: Minimally invasive aesthetic procedures. Springer International Publishing; 2020:407-413.

53. Kim H, Jung J, Choi SW, Yun CW, Lee W. Eyebrow lifting using multidirectional absorbable thread. J Cosmet Dermatol. 2023;22(10):2780-2784.

54. Jabbour S, Awaida C, Kechichian E, Rayess Y, Abdelmassih Y, Noel W, et al. Botulinum toxin for eyebrow shaping: a systematic review. Dermatol Surg. 2017;43(3):S252-S261.

55. Borodic GE, Cozzolino D, Ferrante R, Wiegner AW, Young RR. Innervation zone of orbicularis oculi muscle and implications for botulinum A toxin therapy. Ophthalmic Plast Reconstr Surg. 1991;7(1):54-60.

56. Hsu TSJ, Dover JS, Arndt KA. Effect of volume and concentration on the diffusion of botulinum exotoxin A. Arch Dermatol. 2004;140(11).

57. Costa A, Pereira ESP, Pereira MO, Santos FBC, Favaro R, Stocco PL, et al. Comparative study of the diffusion of five botulinum toxins type-A in five dosages of use: Are there differences amongst the commercially-available products? Dermatol Online J. 2012;18(11).

58. Cook BE, Lucarelli MJ, Lemke BN. Depressor supercilii muscle. Ophthalmic Plast Reconstr Surg. 2001;17(6):404-411.

59. Daniel R, Landon B. Endoscopic forehead lift: anatomic basis. Aesthet Surg J. 1997;17(2):97-104.

60. Fagien S. Botox for the treatment of dynamic and hyperkinetic facial lines and furrows: adjunctive use in facial aesthetic surgery. Plast Reconstr Surg. 1999;103(2):701-713.

61. Domínguez-Duarte A. Aesthetic implications of depressor supercilii muscle block with botulinum toxin type A. J Cosmet Dermatol. 2022;21(4):1374-1378.

62. Cotofana S, Freytag DL, Frank K, Sattler S, Landau M, Pavicic, et al. The bidirectional movement of the frontalis muscle: introducing the line of convergence and it’s cotential clinical relevance. Plast Reconstr Surg. 2020;145(5):1155-1162.

63. Diaspro A, Calvisi L, Manzoni V, Sito G. Microbotulinum: a quantitative evaluation of aesthetic skin improvement in 62 patients. Plast Reconstr Surg. 2020;146(5):987-994.

64. Wu WTL. Microbotox of the lower face and neck. Plast Reconstr Surg. 2015;136:92S-100S.

65. Casabona G, Frank K, Moellhoff N, Gavril DL, Swift A, Freytag DL, et al. Full-face effects of temporal volumizing and temporal lifting techniques. J Cosmet Dermatol. 2020;19(11):2830-2837.

66. Faria GEL, Nassif AD, Schwartzmann G, Zattar L, Boggio RF. Interfascial technique for volumizing the temple with no image guidance: is it safe? Eur J Plast Surg. 2023.

67. Cotofana S, Gaete A, Hernandez CA,Casabona G, Bay S, Pavicic T, et al. The six different injection techniques for the temple relevant for soft tissue filler augmentation procedures – clinical anatomy and danger zones. J Cosmet Dermatol. 2020;19(7):1570-1579.

68. Sykes JM, Cotofana S, Trevidic P, Solish N, Carruthers J, et al. Upper face: clinical anatomy and regional approaches with injectable fillers. Plast Reconstr Surg. 2015;136(5):204S-218S.

69. Almeida ART, Sampaio GAA, Queiroz NPL. Ácido hialuronico no rejuvenescimento do terço superior da face: revisão e atualização. Parte 2: regiões temporal e supraórbitária. Surg Cosmet Dermatol. 2017;9(2):113-121.

70. Cotofana S, Koban KC, Konstantin F, Green JB, Etzel L, Giunta R, et al. The surface-volume coefficient of the superficial and deep facial fat compartments: a cadaveric three-dimensional volumetric analysis. Plast Reconstr Surg. 2019;143(6):1605-1613.

AUTHOR’S CONTRIBUTION:

Rebecca Ignacio Subirá Medina 0000-0001-6756-4263

71. Jung W, Youn KH, Won SY, Park JT, Hu KS, Kim HJ. Clinical implications of the middle temporal vein with regard to temporal fossa augmentation. Dermatol Surg. 2014;40(6):618-623.

72. Beleznay K, Carruthers JDA, Humphrey S, Jones D. Avoiding and treating blindness from fillers. Dermatol Surg. 2015;41(10):1097-1117.

73. Bae H, Choi Y, Lee K, Gil Y, Hu K, Kim H. The deep temporal arteries: anatomical study with application to augmentations procedures of the temple. Clin Anato. 2023;36(3):386-392.

74. Amans MR, Narvid J, Halbach VV. Intra-arterial chemotherapy for bilateral retinoblastoma via left ophthalmic artery and right anterior deep temporal artery. Case Reports. 2014;2014(sep19 3):bcr2014204549-bcr2014204549.

75. Quisling RG, Seeger JF. Orbital anastomoses of the anterior deep temporal artery. Neuroradiology. 1975;8(5):259-262.

76. Park HJ, Lee JH, Jung W. The superficial temporal artery and zygomatico-orbital artery: superficial arterial distribution of the anterior temple area. Biomed Res Int. 2022;2022:1-6.

77. Freytag DL, Frank K, Haidar R, Rudolph C, Muste J, Schenck TL, et al. Facial safe zones for soft tissue filler injections: a practical guide. J Drugs Dermatol. 2019;18(9):896-902.

78. Van Loghem J, Sattler S, Casabona G, Cotafona S, Fabi SG, Goldie K, et al. Consensus on the use of hyaluronic acid fillers from the cohesive polydensified matrix range: best practice in specific facial indications. Clin Cosmet Investig Dermatol. 2021;14:1175- 1199.

79. Faria GEL, Bastos AQ, Vilela CL, Zattar L, Boggio RF. Safety of the inferolateral orbital access for filling the temporal region with the fanning technique. J Cosmet Dermatol. 2022;21(11):5569-5575.

80. Maio M. Myomodulation with injectable fillers: an update. Aesthetic Plast Surg. 2020;44(4):1317-1319.

81. Goldberg RA. Eyelid anatomy revisited. Dynamic high-resolution magnetic resonance images of Whitnall’s ligament and upper eyelid structures with the use of a surface coil. Arch Ophthalmol. 1992;110(11):1598.

82. Javidnia H, Sykes J. Endoscopic brow liftslifts: have they replaced coronal lifts? Facial Plast Surg Clin North Am. 2013;21(2):191-199.

83. Hetzler L, Sykes J. The brow and forehead in periocular rejuvenation. Facial Plast Surg Clin North Am. 2010;18(3):375-384.

84. Faria GEL, Bent AM, Santos DB, Tartare A, Boggio RF. Facial beautification with fillers and main differences between genders. Rev Bras Cir Plást. 2021;36(1).

Approval of the final version of the manuscript; study design and planning; manuscript drafting and writing; data acquisition, analysis, and interpretation; active participation in research supervision; intellectual contribution to the propaedeutic and/or therapeutic management of studied cases; critical review of the literature; critical review of the manuscript.

Gladstone Eustáquio de Lima Faria 0000-0002-0754-2019

Approval of the final version of the manuscript; study design and planning; manuscript drafting and writing; data acquisition, analysis, and interpretation; active participation in research supervision; intellectual contribution to the propaedeutic and/or therapeutic management of studied cases; critical review of the literature; critical review of the manuscript.

Ricardo Frota Boggio 0000-0002-5139-0243

Approval of the final version of the manuscript; study design and planning; manuscript drafting and writing; data acquisition, analysis, and interpretation; active participation in research supervision; intellectual contribution to the propaedeutic and/or therapeutic management of studied cases; critical review of the literature; critical review of the manuscript.

www.surgicalcosmetic.org.br/

Ontogenisis of Merkel-cell carcinoma

Ontogênese

do carcinoma

de células de

Merkel

DOI: http://www.dx.doi.org/10.5935/scd1984-8773.2025170354

ABSTRACT

A narrative review was performed to clarify the ontogenesis of Merkel-cell carcinoma. It is hypothesized that the cells are derived from the embryonic neural crest, skin stem cells, epithelial cells, pre-/pro-B cells, dermal fibroblasts, or metastatic cells from other types of carcinomas. The influence of epigenetics was also considered. Methodologically, to prepare the summary articles were selected from the PubMed and SciELO databases and cited references. The results suggest that it is more likely that Merkel-cell carcinoma has multiple origins, possibly from poorly differentiated cells.

Keywords: Cell Lineage; Carcinoma, Merkel Cell; Merkel Cells; Medical Oncology.

Review Article

Authors:

Fernanda Guimarães Souza1

Daniela Pessanha dos Santos1

Luiza Oliveira Ribeiro1

Thiago Rubim Batista Bellot Nascimento2

Flávio Barbosa Luz3

1 Universidade Federal Fluminense, Student, Hospital Universitário Antônio Pedro Faculty of Medicine,, Niterói (RJ), Brasil

2 Universidade Federal Fluminense, PhD student in Pathology, Hospital Universitário Antônio Pedro, Niterói (RJ), Brasil

3 Universidade Federal Fluminense, Associate Professor, Hospital Universitário Antônio Pedro Faculty of Medicine, Niterói (RJ), Brasil

RESUMO

Foi realizada uma revisão narrativa para elucidar a ontogênese do carcinoma de células de Merkel. Entre as hipóteses consideradas, há as células derivadas da crista neural embrionária; células-tronco da pele; células epiteliais; células pré e pró-B; fibroblastos da derme; ou células metastáticas de outros tipos de carcinomas. A influência da epigenética também foi considerada. Metodologicamente, para a elaboração do resumo foram selecionados artigos das bases de dados PubMed e SciELO e algumas de suas referências. Os resultados sugerem que é mais provável que o carcinoma de células de Merkel tenha origem múltipla, possivelmente a partir de células pouco diferenciadas.

Palavras-chave: Linhagem Celular Tumoral; Carcinoma de Célula de Merkel; Oncologia; Neoplasias.

Correspondence:

Fernanda Guimarães Souza E-mail: guimaraesfernanda@id.uff.br

Financing: None.

Conflicts of interest: None.

Submitted on: 02/26/2024

Final decision: 11/21/2024

How to cite this article: Souza FG, Santos DP, Ribeiro LO, Nascimento TRBB, Luz FB. Ontogenisis of Merkel-cell carcinoma. Surg Cosmet Dermatol. 2024;16:e202040354.

INTRODUCTION

Merkel-cell carcinoma (MCC), formerly known as trabecular carcinoma of the skin, is a rare and aggressive carcinoma with neuroendocrine characteristics, high mortality, and frequent metastasis. It presents as a firm, painless, rapidly growing skin lesion with a smooth surface and erythematous-violet coloration (Figure 1).1 The tumor develops initially in the dermis, often progressing to the subcutaneous tissue, leading to metastasis through the lymphatic system. These characteristics explain its rapid spread and highlight the importance of early diagnosis. The main risk factors for this type of cancer are: advanced age, fair skin, exposure to ultraviolet radiation, and a compromised immune system. Furthermore, it is known that approximately 80% of MCC cases are associated with MC polyomavirus (MCPyV), a non-enveloped circular DNA virus belonging to the Polyomaviridae family that commonly infects skin keratinocytes. Most of the population first comes into contact with MCPyV during early childhood, and most infections are asymptomatic, with the virus remaining latent throughout life. Later, when poorly controlled by the immune system, it can give rise to virus-positive MCC. The remainder of MCC cases unrelated to MCPyV (virus-negative MCC) are caused primarily by mu-

tations resulting from chronic exposure to ultraviolet radiation in the cells of tumor origin.2 The lesions share neuroendocrine markers with MCs, such as cytokeratin 20 and neuron-specific enolase, which led to their name.2 However, despite the apparent relationship, it is still unknown which cell line gives rise to this carcinoma. Since MCs are post-mitotic cells, they have limited oncogenic potential and are also located in the epidermis, factors which weaken the hypothesis that MCC originates from this cell type. Furthermore, tests indicate that MCs do not respond effectively to oncogenic stimuli, including polyomavirus antigens.3 It has been proposed that the following cell lines may give rise to MCC: cells derived from the embryonic neural crest, progenitor cells or skin stem cells, epithelial cells, pre- and pro-B cells, dermal fibroblasts close to hair follicles, or metastatic cells from other types of carcinomas.2-4 Some studies have also proposed that virus-negative MCCs originate from different cell lines and converge into the same phenotype through epigenetic reprogramming.2 Research aimed at defining the oncogenesis of MCC is extremely important for establishing specific biomarkers. This will enable medical advances to more appropriately treat MCC, such as prophylactic measures to reduce the incidence of the disease and improve prognosis, reducing the rates of metastasis and recurrence, as well as the number of deaths.

Discovery of a new carcinoma – trabecular carcinoma of the

Definition of the name Merkel-cell carcinoma

Similarity of carcinoma cells to Merkel cells of the epidermis

Evidence emerges that Merkel cells are not the cells that give rise to carcinoma

Emergence of new hypotheses about the cellular origin of carcinoma

Topographical difference

CK20 is arranged differently

Marker difference

Cells derived from the embryonic neural crest

Skin stem cells

Epithelial cells

Pre-/pro-B cells

Dermal fibroblasts

Metastatic cells from other types of carcinomas

Figure 1: History of studies on the origin of Merkel-cell carcinoma
skin

Surg Cosmet Dermatol. 2025;v.17: n.1 jan-mar. p.24-32.

METHODS

We conducted a narrative review based on 57 articles. A search was conducted of the PubMed and SciELO databases for studies published between 2008 and 2022 in English or Portuguese. The search terms were: “Merkel Cell Carcinoma” and “Origin”. Of the 74 articles found, 42 that addressed the theoretical bases of the main ontological hypotheses of MCC were selected. Fifteen further publications cited in the selected articles were also included, totaling 57 articles. Finally, based on the selected material, a narrative review of the possible cellular origins of MCC was produced.

History

MCC was initially described in 1972 as trabecular carcinoma of the skin and, at that time, it was believed to be of eccrine origin.5 The name “Merkel-cell carcinoma” was applied in 1978 after immunohistochemical identification of the possible relationship between this carcinoma and MCs in the epidermis, as shown in table 1. MCs, epidermal sensory cells that interact with low-threshold mechanoreceptor Aβ type 1 afferent neurons, are considered important in light touch perception.6 The hypothesis linking the newly discovered neoplasm to MCs was based on by their phenotypic similarities. Electron microscopy studies on trabecular carcinomas of the skin identified neurosecretory granules, which reinforced the theory that this neoplasm’s origin could be MCs.7 However, later studies found several indications that it was unlikely that MCs were the origin of this carcinoma. Evidence supporting this new perspective included the topographical difference between MCCs and MCs: MCs are present in the epidermis, the most superficial layer of the skin, while MCCs are mostly found in the dermis.8 Furthermore, although both sets of cells express similar specific cytokeratins, such as cytokeratin 20, histological analysis indicates that these molecules are arranged differently in each cell type. In MCs, cytokeratin 20 is loosely organized, while in MCCs it is organized in spiral or plate-like arrangements.9 Data indicating that MCCs express

markers not identified in MCs, such as the tyrosine kinase receptor c-kit and the adhesion molecule CD171, should also be considered.10 Thus, the question of which cell type is responsible for MCC has once again come to the fore. Neural crest cells were initially considered, since the pathogenic mechanism of MCC formation is similar to that of other neoplasms originating from these cells.11 The theory also emerged that pre-B and pro-B cells originated this carcinoma, since cellular similarities were identified between these lymphocyte progenitors and MCC, such as the terminal deoxynucleotidyl transferase (TdT) enzyme and the PAX5 gene.12 More recently, through advances in research, theories of other probable origins have gained notoriety. Initially, the influence of epigenetics on the development of MCC was shown to be relevant. It has been postulated that the hypermethylation of genes that are important in cell cycle control can silence them, and the resulting cell divisions favor the emergence of MCC.13 Furthermore, in a case involving MCC cells and squamous cell carcinoma, tests identified mutational similarities between them. These results revived discussion that epithelial cells could also be the cellular origin of MCC.14 Thus, due to extensive discussion about the cell responsible for MCC (Figure 2), we conducted this review gather and examine the existing evidence.

Merkel-cell carcinoma

MCC, a rare and aggressive type of skin cancer, is highly lethal, highly metastatic, and has neuroendocrine characteristics. This tumor presents as a painless, fast-growing, smooth-surfaced, firm, erythematous-violet skin lesion (Figure 1).15-17 The main risk factors for MCC can be summarized in the acronym AEIOU: A – asymptomatic; E – expanding rapidly; I – immune suppression; O – older than 50 years of age; U – ultraviolet-exposed site.18 Furthermore, it is common for MCC to appear in individuals with a history of skin cancer, such as squamous cell carcinoma or basal cell carcinoma of the skin.19 The highest

Epidermal sensory cells interact with low-threshold Aβ type 1 mechanoreceptor afferent neurons.6

Definition

Similarities

Rare and aggressive carcinoma with neuroendocrine characteristics, high lethality, and frequent metastasis.1

Considered important for light touch perception.6 A rapidly growing, painless, firm, smooth-surfaced, erythematous-violet skin lesion.15-17

Common neuroendocrine markers include CK20, CD56, NSE, chromogranin A, synaptophysin, and neurofilament expression.24-28

Neurosecretory granules have been identified in Merkel-cell carcinoma samples.7

Differences Topographical difference between Merkel cells and Merkel-cell carcinomas – Merkel cells are found in the epidermis, while Merkel cell carcinomas are mostly found in the dermis.8

CK20: cytokeratin 20; NSE: neuron-specific enolase.

Table 1: Comparison between Merkel cells and Merkel-cell carcinoma
Merkel cells vs Merkel-cell carcinoma

incidence of lesions appear in areas with greater exposure to solar radiation, such as the head, neck, chest, and arms. MCC is staged according to the TNM system, i.e., the extent of the primary tumor (T - tumor), the involvement of regional lymph nodes (N - nodes) and the presence of distant metastases from the regional lymph nodes (M - metastasis).20 According to recent American Joint Committee on Cancer criteria, stages I and II refer to tumors in the skin, stage III refers to disease in regional lymph nodes, and stage IV refers to metastatic disease. Stage 0 indicates a small localized lesion, stage I indicates a localized lesion up to 2 cm (T1). Stage IIA indicates localized lesion between 2 and 5 cm (T2) or larger than 5 cm (T3) without lymph node involvement. Stage IIB indicates a tumor that has invaded muscle, cartilage, fascia, or bone tissue (T4) without lymph node involvement. Stage IIIA indicates a tumor of any size that has metastasized to regional lymph nodes according to histopathological analysis (sentinel lymph node or in-transit metastasis). Stage IIIB indicates a tumor of any size that has metastasized to regional lymph nodes according to clinical examination. Stage IV indicates metastasis beyond regional lymph nodes.21 MCC is also classified into 3 histological subtypes: trabecular, which is less common and is usually related to mixed tumors; intermediate, which is more common and has a high rate of mitosis; and small cell, which is similar to small cell carcinomas characteristic of other organs and tissues.22 Regarding histopathology, tumor cells are located in the dermis and may affect subcutaneous or deeper tissue. They consist of small, monomorphic cells, circular or oval in shape, with vesicular nuclei and scarce cytoplasm.23

Initially known as trabecular carcinoma of the skin, this type of tumor appears most commonly in the dermis and subcutaneous tissue. The current name derives from the high similarity between tumor cells and MCs, which are light touch

mechanoreceptors located around the base of hair follicles. The lesions present neuroendocrine markers, which are also present in MCs, such as cytokeratin 20, CD56, neuron-specific enolase NSE, chromogranin A and synaptophysin, in addition to neurofilament expression.24-28 However, despite the similarity between tumor cells and MCs, it is unlikely that this cell lineage is the origin of the lesion, since it arises in the dermis and MCs are located in the epidermis.29,10 There are four main hypotheses about the cells that give rise to MCC: dermal fibroblasts, progenitor cells derived from the embryonic neural crest, epithelial cells, and pre- and pro-B cells. Carcinoma emergence may be related to viral integration of MCPyV genetic material into cellular DNA or to mutations in cellular DNA caused by the action of ultraviolet radiation.30,31 Despite the difference in origin, virus-positive MCCs, in which the presence of viral DNA can be identified, and virus-negative MCCs, in which the presence of viral DNA cannot be identified, present in a similar way. They grow rapidly, are painless, have erythematous coloration or are similar in color to the patient’s skin tone, and affect the dermal tissue.32,33 Both have neuroendocrine histology, presenting cytokeratins, such as cytokeratin 20, and neuroendocrine markers, such as synaptophysin, chromogranin A, and INSM1. Virus-negative MCC lesions tend to be more aggressive, since they involve numerous genetic mutations and a greater chance of metastasis and recurrence.34 In most cases, MCC is diagnosed late, since the lesion is painless and may resemble other skin tumors. Biopsy, followed by histopathological analysis, is the main diagnostic tool.

Merkel-cell polyomavirus

MCPyV, a member of the Polyomaviridae family, is a non-enveloped circular double-stranded DNA virus that is frequently detected in various skin cells. Most people become infected with MCPyV asymptomatically during childhood, so the virus can be found on the skin of most adults.35 Most cases of MCC, a rare and aggressive type of skin tumor, are related to MCPyV infection. The viral genome consists of an early region and a late region, separated by a non-coding control region. The early region expresses genes that encode two T antigens: large T antigen, which is required for viral replication; and small T antigen, which interacts with host cell proteins and amplifies viral replication.4 The late region expresses genes that encode the viral capsid proteins,VP1,VP2, and VP3, which are expressed after DNA replication has initiated and encode a viral microRNA that regulates the expression of early genes.36 MCPyV is responsible for most cases of MCC, with the viral genome integrating into that of tumor cells in most of these lesions, in addition to expressing truncated large T antigen.37 The integration of MCPyV into a person’s genome occurs through accidental fragmentation of DNA at random sites during viral replication, without involving the cell’s tumor suppressor genes.38 In immunohistochemical analysis, MCPyV can be detected in cells affected by MCC (Figure 3).39 Under normal conditions, large T

Figure 2: Facial skin lesion diagnosed as Merkel-cell carcinoma in a male patient after 4 months of evolution

Surg Cosmet Dermatol. 2025;v.17: n.1 jan-mar. p.24-32.

antigen (among other factors) is responsible for activating the p53 gene, a protein with a tumor suppression function. However, when large T antigen is truncated, the cell proliferation rate increases as a consequence of non-activation of the p53 gene, which can lead to the emergence of a tumor. In addition, it is known that polyomavirus plays an important role in the development of MCC, since it interferes with several cell signaling pathways, although it is not clear which steps are affected.1 It is still not known for sure which host cells maintain latent MCPyV infection.2

Origin of Merkel-cell polyomavirus-infected cells

MCPyV infects dermal fibroblasts located just beneath the epidermal basement membrane and in close proximity to hair follicles.40 It is possible that the virus infects the dermal cells surrounding hair follicles and uses the follicular space as a means to spread to the skin surface and infect new hosts.2 The migration of infected fibroblasts to injured areas may be another way of transmitting viruses from the cells that store them to deeper layers of the skin, which could lead to the development of carcinoma.2 Although insufficient in itself, MCPyV infection can lead to MCC, and it can be inferred that the cells that originate this tumor, or at least virus-positive MCC, are those susceptible to infection by the virus – the fibroblasts of the dermis close to the hair follicles.41

Origin in the embryonic neural crest

Neural crest cells emerge during the neurulation process, which occurs around the fourth week of gestation, and are the result of the neural tube. These cells migrate to different areas of the embryo, differentiating into a wide variety of cell types, such as dermal cells.42 Based on this, it was hypothesized that MCs,

neuroendocrine cells of the epidermis, originate from the neural crest, since in the fetal dermis these cells are associated with small unmyelinated nerves. In some cases, nerve-associated MCs can be observed crossing the basal layer that separates the dermis and epidermis.43

It is known that MCC may not originate from the cells that give it its name, although there is no certainty about its true cellular origin. It has been hypothesized that embryonic neural crest cells are responsible for this tumor, mainly due to the fact that the pathogenic mechanisms that produce MCC are similar to those of neoplasms with a known origin in neural crest derivatives.11

Tumor development is partly related to the inactivation or loss of tumor suppressor genes. In neoplasms originating from the neural crest, it is common for these genes to be lost through deletions in the short arm of chromosome 1 of the cellular genetic material.44 The tumor cells of most MCCs also present mutations in the distal region of the short arm of chromosome 1, which suggests that this carcinoma originates from the same cell type that gives rise to tumors such as melanoma and neuroblastoma, which are derived from neural crest cells.44 Furthermore, MCC cells express telomerase activity, an enzyme active only in nerve cells, which could indicate that this type of cancer originates from cells with nerve function, such as those that differentiate from embryonic neural crest cells.11

Epithelial origin

The hypothesis that MCC arises from phenotypic variations in epithelial cells is highly relevant. This theory is based on the possibility of cellular differentiation in epithelial cells, which allows them to acquire neuroendocrine characteristics similar to those of MCs.3 Historically, the principles which indicate that epithelial cells originate MCC have not been very well accepted, with two arguments standing out: first, that MCCs are most frequently found in the dermis and, second, that case reports supporting epithelial origin are rare. It should also be considered that, according to current evidence, MCPyV infection is insufficient to induce the transformation of epithelial cells into neoplastic cells.41 However, recent studies indicate that MCC may originate from alterations in pre-existing epithelial neoplastic cells. In such studies, MCPyV-positive and MCPyV-negative epidermal cells may be precursors to MCC. The theory that gained prominence in these studies is based on clinical reports in which MCC is associated with some other type of epithelial neoplasia. Researchers believe it is possible that clonal diversification of the existing neoplastic population occurs, which acquires the MCC phenotype and, as a result, results in a case of MCC associated with another carcinoma.3 In MCPyV-negative cases, the epithelial origin hypothesis is supported by case studies of MCC associated with squamous cell carcinoma in situ. Based on the genetic sequencing of the cell population, mutational similarities were observed between the two carcinomas, such as TP53 protein and RB1, which are important tumor suppressors.

Figure 3: Immunohistochemical analysis demonstrating nuclear reactivity of Merkel-cell carcinoma for MCPyV, seen at 400x magnification

Thus, an etiological relationship between the two carcinomas was suggested, strengthening the theory of epithelial origin in a case of virus-negative MCC.14 However, in MCPyV-positive cases, the influence of viral genetic material and oncogene expression is considered. It is believed that, together, these factors create a cellular environment favorable to the development of MCC from a pre-existing neoplasia.14 A recently published case report suggests that a virus-positive MCC developed from a trichoblastoma. Morphological examination revealed a well-defined tumor with morphological aspects of a trichoblastoma at the edges and, in the center, characteristics of MCC. Furthermore, when quantitative PCR was performed, a significant viral load of MCPyV was observed in the sample. To suggest the genetic relationship between MCC and trichoblastoma, genetic sequencing was performed and mutational similarities were identified between the two neoplasms, suggesting that the integration of MCPyV into trichoblastoma influences the development of MCC.45

Origin from pre-B and pro-B cells

The initial stages of lymphoid tissue consist of pro-B and pre-B cells. Until mature B lymphocytes are formed, the progenitor cells mature, passing through the pro-B and pre-B stages, respectively.46 In the pro-B stage, the cells express markers such as CD19, CD20, and CD40, whereas in the pre-B stage, the cell expresses the markers TdT, CD79, and CD10, in addition to initiating the formation of pre-BCR, an immature B cell receptor.47 Evidence supporting the origin of MCC from B lymphocyte progenitors is based on cellular similarities between pro-B/pre-B cells and MCC samples.TdT is a DNA polymerase characteristic of T lymphocytes, lymphoma and/or lymphoblastic leukemia, and lymphocyte precursors in the bone marrow. This enzyme contributes to the elongation of nucleotide chains during the early development of B cells. Immunohistochemical studies have identified positive reactivity for TdT in 73% of MCC samples, which suggests that the cellular origin of MCC may be related to B lymphocyte precursors.48 It is also important to consider the PAX5 gene, which plays an important role in the origin of B cells in identifying this cell lineage by inducting CD19 marker expression during the development of the lymphocyte lineage.49 An immunohistochemical study identified the presence of this gene in 89% of MCC samples. Furthermore, additional tests performed on these samples identified TdT in 78% of MCC samples. These findings indicate that pro-B and pre-B cells may be responsible for the origin of MCC.12 Taken together, the MCC cellular expression data reflect biochemical similarities between MCC and B lymphocyte progenitor cells. Thus, there may be an ancestral relationship between pro-B and pre-B cells and MCC, i.e., pre-B and pro-B cells could transform into tumor cells before their maturation process is completed.50

Epigenetic origin

Epigenetics refers to heritable and reversible modifica-

tions of the genome that can control gene expression without altering the DNA sequence. This control can occur through post-translational modifications of histone proteins, DNA methylation, or microRNA expression, processes that cause instability in cells and can alter gene expression, eventually leading to carcinogenesis.51 DNA methylation involves the addition of a methyl group to the carbon 5 position of a nucleotide, silencing the gene that contains it by inhibiting transcription or recruiting corepressor complexes for chromatin remodeling. Methylation events, mainly in promoter regions of tumor suppressor or tumor-related genes, have already been demonstrated in the progression of some types of cancer, such as melanoma, allowing not only the identification of clinical useful epigenetic biomarkers, but the elucidation of their tumorigenesis as well.52 Some hypermethylated genes have already been described in MCC, such as CpG islands in the RASSF1A promoter and in CDKN2A (p14ARF).13 RASSF1A is a tumor suppressor gene that participates in the regulation of the cell cycle and apoptosis.53 p14ARF is a protein encoded by the CDKN2A gene, capable of blocking the cell cycle in the G1 and G2 phases and inhibiting the growth of cancer cells by indirectly activating the p53 tumor suppressor gene.54 Thus, the silencing of these genes observed in MCC suggests that methylation changes may be directly involved in carcinogenesis.13 Furthermore, although MCPyV infection is found in approximately 80% of MCC cases, which may contribute to pathogenesis, there is evidence that viral infection is unrelated to epigenetic inactivation, which indicates that these events are independent.30,53 In MCC patient samples, one tested cell line, MCC13, had greater correspondence with the methylation pattern of small-cell lung cancer than the pattern found in MCC. Since the methylation profiles of these tumor types are unique, the results could indicate that MCC involves cells derived from metastatic cells of another type of carcinoma with similar clinical and pathological characteristics.13 DNA methylation can also be used as an indicator of an individual’s biological age.55 Therefore, the development of clocks to estimate epigenetic age by measuring the cumulative effects of methylation over the years facilitates research into issues such as cancer and aging.56 A low DNA methylation age is found in stem cells, and the induction of pluripotency is associated with cell rejuvenation.57 Furthermore, an accelerated epigenetic age reflects the difference between DNA methylation age and chronological age.55 A study revealed that the DNA methylation age of MCC samples was significantly lower than the patients’ chronological age, regardless of the presence of MCPyV. Low DNA methylation age could indicate the pluripotency of these cells, a hypothesis corroborated by the idea of trilinear MCC differentiation, since the concomitant expression of epithelial, neuroendocrine, and pre- and pro-B lymphocyte cell lineages suggests that stem cells could be the origin of this tumor. However, the results were negative when MCC samples underwent pluripotency analysis, revealing a paradoxical situation of epigenetic youth without pluripotency57 (Table 2).

Surg Cosmet Dermatol. 2025;v.17: n.1 jan-mar. p.24-32.

CONCLUSIONS

The origin of MCC, first described in 1972, has not yet been clearly defined. So far, only hypotheses have been postulated to explain its development. The oldest hypothesis is that the cells are derived from the embryonic neural crest, which is based on similarities between the carcinogenesis of MCC and tumors that clearly originate from the neural crest, such as telomerase activity and the loss of tumor suppressor genes at similar gene loci.11,44 Despite the importance of this similarity, this appears to be the least likely hypothesis at present, since other similarities are missing between MCC cells and melanoma and neuroblastoma cells, tumors originating in the embryonic neural crest. Furthermore, it is possible that MCC originates from pre-B and pro-B cells, given the similarities between these cells and tumor cells of the cancer in question. This similarity is due to the presence of TdT in MCC samples, an enzyme characteristic of lymphocytes in early development.48 The presence of CD19 in carcinoma cells also supports this hypothesis, since this marker is encoded by the PAX5 gene, which is characteristic of lymphocyte lineage cells that are also present in the tumor.49 When viral genetic material can be detected in tumors, the cells most likely to become neoplastic are the dermal fibroblasts, which are

located close to the hair follicles, since these cells are susceptible to viral infection.2 Upon infection, the polyomavirus’ genetic material is integrated into the cellular DNA, increasing the rate of cell proliferation, in addition to interfering in important cell signaling pathways, which can lead to the development of cancer.1,38 It is also possible that MCC originates from pre-existing neoplastic cells that develop from epithelial cells. This hypothesis is based on the presence of mutations in the TP53 and Rb1 genes, which are tumor suppressors in both MCC and squamous cell carcinoma in the absence of MCPyV infection.14 In virus-positive tumors, the expression of viral genetic material concomitantly with the expression of oncogenes may favor carcinogenesis, a theory reinforced by samples containing similar morphological and genetic characteristics between MCC and other skin tumors, such as trichoblastoma. Furthermore, cell line analysis indicates that the methylation pattern of MCC corresponds to other tumor types, such as small cell lung cancer, showing that MCC may originate from diverse metastatic cells and is not restricted to epithelial cells. Epigenetics is an important factor in elucidating tumor development. The genome modification hypothesis is supported by the observation of tumor suppressor genes silenced by hypermethylation mechanisms in

Table 2: Hypotheses on the origin of Merkel-cell carcinoma and their theoretical bases

Cellular origin

Merkel cells

Dermal fibroblasts

Embryonic neural crest cells

Epithelial cells

Relationship between cellular origin and theory

Theoretical basis

Neuroendocrine markers identified in both MCC and MCs, such as CK20, CD56, NSE, chromogranin A, and synaptophysin, in addition to neurofilament expression.24-28

MCPyV infection in dermal fibroblasts, which can use the follicular space to spread to more superficial portions of the skin, where the tumor develops.2,40

The pathogenesis of MCC is similar to other tumors that originate from these cells, such as the inactivation of tumor suppressor genes due to mutations in the short arm of chromosome 1 and the action of the telomerase enzyme.11,44

MCPyV-negative: mutational similarities were found between TP53 and RB1 proteins in MCC and squamous cell carcinoma cells in situ.14

MCPyV-positive: the expression of oncogenes and viral genetic material may influence the development of MCC when there is pre-existing neoplasia.14

Pre-B and pro-B cells

Epigenetics

Metastatic cells from other types of carcinomas

Common cellular characteristics, such as the TdT enzyme and the PAX5 gene, have been identified between MCC samples and the B lymphocyte progenitor lineage.12,48,50

Hypermethylation of genes linked to cell cycle control, such as CpG islands located in the RASSF1A promoter and CDKN2A.13

The methylation pattern of one MCC cell line showed greater correspondence to that of another tumor type than to MCC itself.13

CK20: cytokeratin 20; NSE: neuron-specific enolase; MC: Merkel cell; MCC: Merkel-cell carcinoma; MCPyV: Merkel cell polyomavirus; TdT: terminal deoxynucleotidyl transferase enzyme.

Souza FG, Santos DP, Ribeiro LO, Nascimento TRBB, Luz FB.

MCC samples.13 Furthermore, epigenetic analysis has shown that it is unlikely that stem cells are the origin of MCC, since samples have tested negative for pluripotency. Based on the data, there is still not enough information to determine the exact origin of MCC. There is a high probability that this neoplasm has more than one cellular origin and may be influenced by mechanisms of epigenetic modification. We believe that the cells most

REFERENCES:

1. Uchi H. Merkell cell carcinoma: an update and immunotherapy. Front Ocol. 2018;8:48.

2. Krump NA, You J. From Merkel cell polyomavirus infection to Merkel cell carcinoma oncogenesis. Front Microbiol. 2021;12:739695.

3. Yang JF, You J. Merkel cell polyomavirus and associated Merkel cell carcinoma. Tumour Virus Res. 2022;13:200232.

4. Pietropaolo V, Prezioso C, Moens U. Merkel cell polyomavirus and Merkel cell carcinoma. Cancers (Basel). 2020;12(7):1774.

5. Toker C. Trabular carcinoma of the skin. Arch Dermatol.1972;105(1):107-110.

6. Bataille A, Le Gall C, Misery L, Talagas M. Merkel cells are multimodal sensory cells: a review of study methods. Cells. 2022;11(23):3827.

7. Tang CK, Toker C. Trabecular carcinoma of the skin: an ultrastructural study. Cancer. 1978;42(5):2311-2321.

8. Sibley RK, Dehner LP, Rosai J. Primary neuroendocrine (Merkel cell?) carcinoma of the skin. I. A clinopathologic and ultrastructural study of 43 cases. Am J Surg Pathol. 1985;9(2): 95-108.

9. Sunshine JC, Jahchan NS, Sage J, Choi J. Are there multiple cells of origin of Merkel cell carcinoma? Oncogene. 2018;37(11):1409-1416.

10. Tilling T, Moll I. Which are the cells of origin in Merkel cell carcinoma? J Skin Cancer. 2012;2012:680410.

11. Suárez C, Rodrigo JP, Ferlito A, Devaney KO, Rinaldo A. Merkel cell carcinoma of the head and neck. Oral Oncology. 2004; 40(8):773-779.

12. Kolhe R, Reid MD, Lee JR, Cohen C, Ramalingam P. Immunohistochemical expression of PAX5 and TdT by Merkel cell carcinoma and pulmonary small cell carcinoma: a potential diagnostic pitfall but useful discriminatory marker. Int J Clin Exp Pathol. 2013. 6(2):142-147.

13. Gujar H, Mehta A, Li HT, Tsai YC, Qiu X, Weisenberger DJ, et al. Characterizing DNA methylation signatures and their potential functional roles in Merkel cell carcinoma. Genome Med. 2021; 13(1):130.

14. Thibault K. Evidence of an epithelial origin of Merkel cell carcinoma. Mod Pathol. 2022;35(4):446-448.

15. Swann MH, Yoon J. Merkel cell carcinoma. Semin Oncol. 2007;34(1):51-56.

16. Hitchcock CL, Bland KI, Laney III RG, Franzini D, Harris B, Copeland EM. Neuroendocrine (Merkel cell) carcinoma of the skin. Its natural history, diagnosis, and treatment. Ann Surg. 1988;207(2):201-207.

17. Pectasides D, Pectasides M, Economopoulos T. Merkel cell cancer of the skin. Ann Oncol. 2006; 17(10):1489-1495.

18. Walsh NM, Cerroni L. Merkel cell carcinoma: a review. J Cutan Pathol. 2021;48(3):411-421.

19. Cerroni L, Kerl H. Primary cutaneous neuroendocrine ( Merkel cell) carcinoma in association with squamous – and basal – cell carcinoma. Am J Dermatopathol. 1997;19(6):610-613.

20. 20. Cornejo C, Miller CJ. Merkel cell carcinoma: updates on staging and management. Dermatol Clin. 2019;37(3):269-277.

21. Harms KL, Healy MA, Nghiem P, Sober AJ, Johnson TM, Bichakjian CK, et al. Analysis of prognostic factors from 9387 Merkel cell carcinoma cases forms the basis for the new 8th edition AJCC staging system. Ann Surg Oncol. 2016;23(11):3564-3571.

likely to originate MCC are poorly differentiated cells that can be specified in other cell types, which might explain a multiple origin for this carcinoma. Nevertheless, studies such as Chteinberg et al. have found negative pluripotency results for MCC, which prevents an objective definition of the origin of MCC until further research can be conducted.57 l

22. Baba PUF, Rasool Z, Younas Khan I, Cockerell CJ, Wang R, Kassir M, et al. Merkel cell carcinoma: from pathobiology to clinical management. Biology (Basel). 2021;10(12):1293.

23. Fried I, Cerroni L. [Merkel cell carcinoma]. Patholege. 2014;35(5):467-475.

24. Moll I, Kuhn C, Moll R. Cytokeratin 20 is a general marker of cutaneous Merkel cells while certain neuronal proteins are absent. J Invest Dermatol. 1995;104(6):910-915.

25. Eispert AC, Fuchs F, Brandner JM, Houdek P, Wladykowski E, Moll I. Evidence for distinct populations of human Merkel cells. Histochem Cell Biol. 2009;132(1):83-93.

26. Kurokawa M, Nabeshima K, Akiyama Y, Maeda S, Nishida T, Nakayama F, et al. CD56: a useful marker for diagnosing Merkel cell carcinoma. J Dermatol Sci. 2003;31(3):219-224.

27. Llombart B, Monteagudo C, Lopez-Guerrero JA, Carda C, Jorda E, Sanmartin O, et al. Clinicopathological and immunohistochemical analysis of 20 cases of Merkel cell carcinoma in search of prognostic markers. Histopathology. 2005;46(6):622-634.

28. Shah IA, Netto D, Schlageter MO, Muth C, Fox I, Manne RK. Neurofilament immunoreactivity in Merkel-cell tumors: a differentiating feature from small-cell carcinoma. Mod Pathol. 1993;6(1):3-9.

29. Moll I, Roessler M, Brandner JM, Eispert AC, Houdek P, Moll R. Human Merkel cells – aspects of cell biology, distribution and functions. Eur J Cell Biol. 2005;84(2-3):259-271.

30. Feng H, Shuda M, Chang Y, Moore PS. Clonal Integration of a polyomavirus in human Merkel cell carcinoma. Science. 2008;319(5866):10961100.

31. Wong SQ, Waldeck K, Vergara IA, Schröder J, Madore J, Wilmott JS, et al. UV-associated mutations underlie the etiology of MCV-negative Merkel cell carcinomas. Cancer Res. 2015;75(24):5228-5234.

32. DeCaprio JA. Molecular pathogenesis of Merkel cell carcinoma. Annu Rev Pathol. 2021;16:69-91.

33. Ahmed MM, Cushman CH, DeCaprio JA. Merkel cell polyomavirus: oncogenesis in a stable genome. Viruses. 2021;14(1):58.

34. Jaeger T, Ring J, Andres C. Histological, immunohistological, and clinical features of Merkel cell carcinoma in correlation to Merkel cell Polyomavirus status. J Skin Cancer. 2012;2012:983421.

35. Kean JM, Rao S, Wang M, Garcea RL. Seroepidemiology of human polyomaviruses. PLoS Pathog. 2009;5(3):e1000363.

36. Gjoerup O, Chang Y. Update on human polyomaviruses and cancer. Adv Cancer Res. 2010;106:1-51.

37. Csoboz B, Rasheed K, Sveinbjørnsson B, Moens U. Merkel cell polyomavirus and non‐Merkel cell carcinomas: guilty or circumstantial evidence? APMIS. 2020;128(2):104-120.

38. Starrett GJ, Marcelus C, Cantalupo PG, Katz JP, Cheng J, Akagi K, et al. Merkel Cell Polyomavirus Exhibits Dominant Control of the Tumor Genome and Transcriptome in Virus-Associated Merkel Cell Carcinoma. mBio. 2017;8(1):e02079-16.

39. Nascimento TRBB. Detecção de poliomavírus de células de Merkel em carcinomas de queratinócitos pela imuno-histoquímica [dissertação]. [Niterói]: Universidade Federal Fluminense; 2023. 95 p.

Surg Cosmet Dermatol. 2025;v.17: n.1 jan-mar. p.24-32.

40. Liu W, Yang R, Payne AS, Schowalter RM, Spurgeon ME, Lambert PF, et al. Identifying the target cells and mechanisms of Merkel cell polyomavirus infection. Cell Host Microbe. 2016;19(6):775-787.

41. Harms PW, Harms KL, Moore PS, DeCaprio JA, Nghiem P, Wong MKK, et al. The biology and treatment of Merkel cell carcinoma: current understanding and research priorities. Nat Rev Clin Oncol. 2018;15(12):763-776.

42. Schoenwolf GC, Larsen WJ, Bleyl SB, Brauer PR, Francis-West PH. Larsen’s Human Embryology. Churchill Livingstone.; 2009.

43. Munde P, Khandekar S, Dive A, Sharma A. Pathophysiology of Merkel cell. J Oral Maxillofac Pathol. 2013;17(3):408-412.

44. Harnett PR, Kearsley JH, Hayward NK, Dracopoli NC, Kefford RF. Loss of allelic heterozygosity on distal chromosome 1p in Merkel cell carcinoma. A marker of neural crest origins? Cancer Genet Cytogenet. 1991;54(1):109-113.

45. Kervarrec T, Aljundi M, Appenzeller S, Samimi M, Maubec E, Cribier B, et al. Polyomavirus-positive Merkel cell carcinoma derived from a Trichoblastoma suggests an epithelial origin of this Merkel cell carcinoma. J Invest Dermatol. 2020;140(5):976-985.

46. Urbanczyk S, Stein M, Schuh W, Jäck HM, Mougiakakos D, Mielenz D. Regulation of energy metabolism during early B lymphocyte development. Int J Mol Sci. 2018;19(8):2192.

47. LeBien TW, Tedder TF. B lymphocytes: how they develop and function. Blood. 2008;112(5):1570-1580.

48. Buresh CJ, Oliai BR, Miller RT. Reactivity with TdT in Merkel cell carcinoma: a potencial diagnostic pitfall. Am J Clin Pathol. 2008;129(6):894-898.

49. Patton DT, Plumb AW, Abraham N. The survival and differentiation of pro- B and pre-B cells in the bone marrow is dependent on IL-7Rα Tyr449. J Immunol. 2014;193(7):3446-3455.

50. zur Hausen A, Rennspiess D, Winnepenninckx V, Speel EJ, Kurz AK. Early B-cell differentiation in Merkel cell carcinomas: clues to cellular ancestry. Cancer Res. 2013;73(16):4982-4987.

51. Rotondo JC, Mazziotta C, Lanzillotti C, Tognon M, Martini F. Epigenetic dysregulations in Merkel cell polyomavirus-driven Merkel cell carcinoma. Int J Mol Sci. 2021;22(21):11464.

52. Greenberg ES, Chong KK, Huynh KT, Tanaka R, Hoon DSB. Epigenetic biomarkers in skin cancer. Cancer Lett. 2014;342(20):170-177.

53. Helmbold P, Lahtz C, Enk A, Herrmann-Trost P, Marsch WCh, Kutzner H, et al. Frequent occurrence of RASSF1A promoter hypermethylation and Merkel cell polyomavirus in Merkel cell carcinoma. Mol Carcinog. 2009;48(10):903-909.

54. Sunwoo HH, Suresh MR. The immunoassay handbook: theory and applications of ligand binding, ELISA and related techniques [Internet]. 4th ed. Elsevier; 2013. Part 9, Chapter 12, Cancers Markers; p 833-856.

55. Noroozi R, Ghafouri-Fard S, Pisarek A, Rudnicka J, Spólnicka M, Branicki W, et al. DNA methylation-based age blocks: from age prediction to age reversion. Ageing Res Rev. 2021;68:101314.

56. Horvath S. DNA methylation age of human tissues and cell types. Genome Biol. 2013;14(10):R115.

57. Chteinberg E, Vogt J, Kolarova J, Bormann F, Van Den Oord J, Speel EJ, et al. The curious case of Merkel cell carcinoma: epigenetic youth and lack of pluripotency. Epigenetics. 2020;15(12):1319-1324.

AUTHOR’S CONTRIBUTION:

Fernanda Guimarães Souza

0009-0004-8385-0154

Formal analysis; approval of the final version of the manuscript; conceptualization; writing – original draft; data curation; intellectual participation in propaedeutic and/or therapeutic conduct of the studied cases; critical review of the literature; writing – review & editing

Daniela Pessanha dos Santos 0009-0002-1490-9613

Formal analysis; approval of the final version of the manuscript; conceptualization; writing – original draft; obtaining, data curation; intellectual participation in the propaedeutic and/or therapeutic conduct of the studied cases; critical review of the literature; writing – review & editing.

Luiza Oliveira Ribeiro 0009-0009-7355-9378

Formal analysis; approval of the final version of the manuscript; conceptualization; writing – original draft; obtaining, data curation; intellectual participation in the propaedeutic and/or therapeutic conduct of the studied cases; critical review of the literature; writing – review & editing.

Thiago Rubim Batista Bellot Nascimento 0000-0003-3909-5935

Approval of the final version of the manuscript; conceptualization; data curation; formal analysis; supervision; intellectual participation in propae-deutic and/or therapeutic conduct of the studied cases; critical review of the literature; writing – review & editing.

Flávio Barbosa Luz 0000-0001-5454-8950

Approval of the final version of the manuscript; conceptualization; data curation; formal analysis; supervision; intellectual participation in propaedeutic and/or therapeutic conduct of the studied cases; critical review of the literature; writing – review & editing.

www.surgicalcosmetic.org.br/

Clinical recommendations for the combined use of poly-L-lactic acid (PLLA-SCA) and energybased devices: expert opinion and literature

review

Recomendações clínicas para o uso combinado de ácido poli-L-láctico (PLLA-SCA) e dispositivos baseados em energia: opinião de especialistas e revisão da literatura

DOI: http://www.dx.doi.org/10.5935/scd1984-8773.2025170377

ABSTRACT

The clinical use of combined technologies has been increasing to address the effects of skin aging on the face and other areas of the body. Poly-L-lactic acid is a biocompatible, semipermanent synthetic filler used for volume enhancement through neocollagenesis induction by fibroblast activation. Similarly, energy-based technologies, such as high-intensity focused ultrasound and microneedling radiofrequency devices, promote fat reduction and collagen contraction by heating the deep dermis. This article presents expert panel recommendations and a literature review on the topic.

Keywords: Polylactic Acid-Polyglycolic Acid Copolymer; Radiofrequency Therapy; Collagen Type I; Collagen Type III; Adipose Tissue.

Review Article

Authors:

Taciana Dal´Forno1

Maria Paula Del Nero2

Fernanda Nunes2

Cíntia Cunha3

Alessandra Haddad4

Adriana Vilarinho2

Alessandra Nogueira5

Rafael Tomaz5

1 Dermatologist, Private practice, Porto Alegre (RS), Brazil

2 Dermatologist, Private practice, São Paulo (SP), Brazil

3 Dermatologist, Private practice, Uberlandia (MG), Brazil

4 Plastic Surgeon, Plastic Surgery Department, Federal University of São Paulo; Hospital Israelita Albert Einstein, São Paulo (SP), Brazil

5 Dermatologist, Galderma Laboratories L.P, São Paulo (SP), Brazil

Correspondence: Taciana Dal´Forno E-mail: contato@tacianadini.com.br

RESUMO

O uso clínico de tecnologias combinadas tem crescido para abordar os efeitos do envelhecimento cutâneo na face e em outras áreas do corpo. O ácido poli-L-láctico é um preenchedor sintético biocompatível, semipermanente, utilizado para aumento de volume por indução de neocolagênese através da ativação de fibroblastos. Da mesma forma, tecnologias baseadas em energia, como ultrassom focado de alta intensidade e dispositivos de radiofrequência microagulhada induzem a redução de tecido adiposo e a contração do colágeno através do aquecimento da derme profunda. Apresentamos as recomendações de um painel de especialistas e revisão da literatura sobre o tema. Palavras-chave: Copolímero de Ácido Poliláctico e Ácido Poliglicólico; Terapia por Radiofrequência; Colágeno Tipo I; Colágeno Tipo III; Gordura Subcutânea.

Funding source: Galderma provided support for the formation of the board and the writing of the manuscript.

Conflict of interest: Drs. Dal'Forno, Nunes, Cunha, and Vilarinho are affiliated with a speakers' bureau and serve as consultants for Galderma. Dr. Del Nero is a speaker, advisor, and consultant for Galderma. Dr. Haddad is a speaker, consultant, advisor, and investigator for Galderma. Dr. Nogueira is Galderma's Medical Director, and Dr. Tomaz is Galderma's Senior Medical Manager. Is this a clinical trial? No

Submission date: 06/12/2024

Final decision: 06/28/2024

How to cite this article: Dal’Forno T, Del Nero MP, Nunes F, Cunha C, Haddad A,Vilarinho A, Nogueira A, et al. Clinical recommendations for the combined use of poly-L-lactic acid (PLLA-SCA) and energy-based devices: expert opinion and literature review. Surg Cosmet Dermatol. 2025;17:e20250377.

INTRODUCTION

Aging is a dynamic and complex process influenced by both extrinsic factors and intrinsic changes. As a result, the use of combined therapies has grown significantly to address biometric volume loss and skin alterations.1,2 In recent decades, rapid technological advancements have driven the widespread adoption of nonsurgical aesthetic procedures.3 Minimally invasive treatments that integrate multimodal approaches and target various manifestations of aging are not only safe but also often yield superior outcomes compared to single-modality treatments.1,4

Despite the increasing body of evidence and the clinical application of combined technologies to enhance aesthetic results,1,2,4-8 the specific interaction between poly-L-lactic acid (PLLA-SCA) and energy-based devices remains an area requiring further investigation. Strategies to restore lost soft tissue volume include the use of injectable fillers, such as poly-L-lactic acid (Sculptra®, Galderma, Uppsala, Sweden).9 Sculptra® is a biostimulatory injectable implant containing 150 mg of PLLA-SCA microparticles per vial. Suh microparticles are unique in both shape and have a median particle size of approximately 50 µm, maintained through a rigorous quality control process.10 PLLA-SCA has been extensively studied for aesthetic applications and functions as an absorbable, a-hydroxy-based synthetic filler that induces neocollagenesis by stimulating fibroblast activity. It is biocompatible and immunologically inert.2,9,11

Unlike traditional dermal fillers that primarily provide mechanical volume replacement, PLLA-SCA offers longer-lasting effects, as it stimulates fibroblast activity for up to two years post-injection.2,12,13 Initially approved for HIV-associated lipoatrophy, PLLA-SCA has also been widely used to correct facial wrinkles and volume loss. More recently, there has been growing interest in the nonfacial applications of PLLA-SCA, including volume augmentation, body contouring, skin laxity improvement, cellulite reduction, scar treatment, and striae distensae correction.14

Nonsurgical thermal approaches have been increasingly used to selectively target subcutaneous adipose tissue, including high-intensity focused ultrasound (HIFU) and radiofrequency (RF) energy devices.15 Both RF and HIFU are noninvasive, energy-based technologies designed for wrinkle reduction, collagen contraction, and skin tightening.5,16 While RF induces apoptosis in fat cells, HIFU causes coagulative necrosis and cell death.15

HIFU delivers ultrasound energy to selectively heat dermal and subdermal tissues above 60°C, creating a linear array of tightly focused thermal coagulation points. This process stimulates long-term collagen remodeling, leading to tissue tightening and lifting without damaging the epidermis.1,17,18 Treatment parameters can be adjusted by modifying energy levels and focal depth. Depending on the device, transducers emit frequencies between 2 and 10 MHz, with focal depths ranging from 1.5 to 13.0 mm, allowing targeted treatment of different facial and body tissues.15,19,20,21 Multiple studies have demonstrated the cli-

nical efficacy and safety of HIFU for facial, neck, and body rejuvenation.17,18,22,23

Most HIFU devices include multiple transducer depths and focal sizes. Macrofocused ultrasound (MaFU) transducers, with larger thermal coagulation points, are typically used for fat reduction, while microfocused ultrasound (MIFU) transducers operate at different frequencies to tighten and lift lax skin.20 Similarly, RF technology employs low-frequency waves to generate an electromagnetic field within the skin, producing thermal heating of the dermis. This process promotes neocollagenesis, elastin formation, and angiogenesis during the healing response.24,25 Microneedle RF (MRF) enhances this effect by combining the mechanical penetration of microneedles with the thermal impact of RF. This combination allows heat to be delivered at variable depths, expanding the range of anatomical locations and tissue types that can be effectively treated.25,26 The precision of energy delivery optimizes dermal, subdermal, and adipose heating while minimizing epidermal damage, thereby facilitating contraction of dermis, subdermis, and surrounding connective tissue. Additionally, MRF can induce fat coagulation.27

MRF is a safe and effective treatment for various dermatologic concerns, including sagging skin, wrinkles, acne vulgaris, photoaging, enlarged pores, skin laxity, and scars.27-29 MRF is a versatile treatment option for various dermatologic concerns and is safe for patients of all skin types.25 In this expert opinion article, we present group recommendations for the combined use of PLLA-SCA and energy-based devices, drawing from the best available evidence and extensive long-term private practice experience.

METHODS

Participant Selection and Expert Group Composition

In August 2023, a multidisciplinary panel of eight Brazilian medical experts convened to discuss the combined use of injectable PLLA-SCA and energy-based technologies. The group comprised physicians specializing in dermatology and plastic surgery, each with extensive clinical experience in these treatment modalities. The objective of this collaboration was to provide insights and establish best practices for optimizing treatment outcomes.

Questionnaire Development and Pre-Meeting Inquiry

Prior to the meeting, expert group members were invited to participate in a pre-meeting questionnaire comprising 17 key components related to various aspects of treatment. The questionnaire covered the following topics:

1. Patient selection criteria for therapy combination

2. Clinical indications

3. Contraindications

4. Preoperative preparations

Tomaz R.

5. PLLA-SCA dilution methods

6. Techniques for PLLA-SCA injection

7. Number of PLLA-SCA sessions

8. Commercially available tested devices (MiFU, MaFU, MRF)

9. Device application techniques

10. Number of sessions for each device

11. Interval between sessions for each device

12. Sequencing in combined therapy

13. Order of technology application

14. Guidelines for intraoperative care

15. Protocols for postoperative care

16. Potential adverse effects

17. Post-treatment follow-up strategies

Meeting Facilitation and Data Collection

During the meeting, a neutral and trained medical facilitator (RT) led the discussions, ensuring an organized and structured exchange of insights. The session was recorded on video to accurately capture the discussions based on the questionnaire responses. The facilitator guided the conversation, summarized key points, and facilitated clarifications to ensure balanced participation from all experts. Discussions centered on comprehensive explanations of different treatment methods, the rationale behind treatment sequencing, safety considerations, and the synergistic effects of combined therapies for aesthetic rejuvenation.

Guideline Formation

Open debates and discussions were conducted to reach a consensus on potentially controversial topics. Participants leveraged available evidence, personal clinical experience, and key concerns to identify the most relevant principles. Such deliberations, supplemented by a review of current literature, served as the foundation for a practical guideline covering facial and body aesthetic rejuvenation treatments.

Dilution method and volume

Injection technique

Number of Sessions

Interval between sessions

At least 30 days. Surg Cosmet Dermatol. 2025;v.17: n.1 jan-mar. p.33-42.

Manuscript Development and Validation

Observations and recommendations from the panel discussions were systematically assessed and compiled into a manuscript. This document underwent multiple iterative revisions, with all authors contributing to its refinement.Through this collaborative process, unanimous agreement was reached on the final version. The recommendations presented in this study reflect the collective expertise of the panel, drawing from extensive clinical experience and supported by previously published data on the integration of PLLA-SCA and energy-based technologies in aesthetic medicine for rejuvenation.

RESULTS AND RECOMMENDATIONS

Composition of the Expert Group

The expert panel had an average age of 48 years and an average of 25 years of medical practice. Their expertise was further strengthened by advanced training through residencies, master’s programs, and doctoral degrees in specialized fields such as general surgery, plastic surgery, dermatology, and internal medicine. Following in-depth discussions, the panel formulated expert recommendations based on a combination of scientific evidence and the collective clinical experience of leading dermatologists, plastic surgeons, and researchers.

PLLA-SCA Recommendations

Since PLLA-SCA is the primary technology combined with selected energy-based devices, Table 1 presents detailed expert recommendations on dilution, injection techniques, number of sessions, and treatment intervals, both as a monotherapy and in combination therapy.

After reconstitution, PLLA-SCA can be used immediately or stored for up to 72 hours. Studies indicate immediate injection post-reconstitution is safe, associated with a low rate of adverse events (AEs), and offers practical advantages, such as reduced procedure time and minimized product loss for the injector.30,31

Reconstitution: immediate or 72 hours before use.

Face: 10 mL (8 mL sterile water + 2 mL 2% lidocaine)

Non-facial areas: 16 mL (14 mL sterile water + 2 mL 2% lidocaine)

Injection in the superficial subcutaneous plane with 22G x 50 needles or 70mm cannula, according to individual needs, aspirating before injection.

Slim face: all previously described techniques (fanning, retrograde linear thread, cross-hatching, depot).

Heavy face: frame with retroinjection for a better lifting effect or vector technique.

Non-facial areas: application in the superficial subcutaneous plane in the desired area.

Depends on individual needs and area size.

Face: 1-3 sessions using 1-2 vials per session.

Non-facial areas: 1-3 sessions using 1-6 vials per session, according to area size.

Table 1: Preparation and application methods of PLLA-SCA used alone or in combination with other technologies according to expert opinion
Poly-L-lactic acid (PLLA-SCA)

Regarding dilution volume, expert consensus established 10 mL for facial treatments and up to 16 mL for nonfacial applications, both with an additional 2 mL of 2% lidocaine. One expert referenced a prior study supporting the use of 12 mL for body injections.32 While various studies have explored the safety and efficacy of different dilution volumes for PLLA-SCA, a 2014 consensus by Vleggaar et al.33 recommended 9 mL for facial treatments and 16 mL for the décolletage, already incorporating anesthetics. Importantly, dilutions below 5 mL should be avoided, as highly concentrated formulations increase the risk of known AEs, including nodules and papules.34

The choice of dilution depends on the treatment goals. More concentrated formulations are preferred for volumization, as they require deep dermal or subdermal injections. In contrast, higher dilutions are typically used to improve skin quality or treat cellulite.3

PLLA-SCA injection sites yielding the best outcomes are dynamically stable and have sufficient dermal thickness to accommodate proper injection depth.33 Several injection techniques are reported for facial PLLA-SCA application, including fanning, retrograde linear threading, depot, or vector techniques, depending on the anatomic area and desired effect.11,33,35

Special caution is advised when treating patients with a heavier facial structure, thicker skin, and prominent superficial fat compartments. In such cases, the midface is typically avoided, while the upper and lower temples are prioritized, followed by the preauricular area, extending from the zygomatic arch to the mandible.35

For nonfacial areas, the choice of injection technique depends on the treatment site. A recent review identified linear threading and fanning as the most used techniques, performed with either a needle or cannula, on the neck, chest, buttocks, abdomen, and thighs.14 Treating large off-face areas may require up to 20 vials of PLLA-SCA to achieve significant aesthetic enhancement36; however, this approach can be costly and time-consuming. To optimize product usage for gluteal augmentation, Sarubi et al.37 developed a novel injection technique consisting of three distinct approaches, tailored to the primary aesthetic concern: improving skin quality, enhancing contour and lifting, or increasing projection and volume.

Overall, common adverse events, such as localized swelling, tenderness, redness, itching, and bruising, typically resolve within a week.30 Firmly massaging the treated areas immediately after injection promotes even product distribution and may help reduce the incidence of these side effects.4

PLLA-SCA in Combination with Energy-Based Devices

Few studies have explored the combined use of PLLA-SCA with HIFU or MRF devices.2,4,6,38 As a result, the recommendations presented here are based on the authors’ expertise, extrapolating from the available research. When implementing combination therapies, it is essential to consider individual patient needs, treatment goals, and the specific indications of each

technology.Tables 2 and 3 outline the authors’ recommendations for combining PLLA-SCA with MiFU and MaFU, respectively. HIFU is used as a monotherapy in only 5–10% of patients, as it is more commonly combined with neuromodulators, fillers, and laser treatments to enhance outcomes.39 When paired with PLLA-SCA, HIFU simultaneously promotes volume restoration, neocollagenesis, and tissue contraction, offering multilevel cosmetic revitalization.2

The primary indications for this combined approach include facial lifting, rejuvenation, and the treatment of mild to moderate skin laxity, particularly in areas with concurrent fat compaction, such as the neck. Azuelos et al.40 demonstrated a single session of HIFU effectively improves cervical skin laxity, reduces submental fat (double chin), and diminishes neck wrinkles. Additionally, a study by Friedmann et al.4 confirmed the safety and enhanced efficacy of using MiFU followed by PLLA-SCA for multilayer facial rejuvenation, either in a single session or with a two-week interval to allow swelling to subside.

Coleman & Pozner38 proposed the use of HIFU followed by PLLA-SCA or HA as a treatment option for laxity and volume loss in the inner thigh and buttocks. However, given the larger treatment area, multiple sessions and vials are typically required. To minimize the risk of nodule formation, a higher PLLA-SCA dilution volume (12–16 mL) is recommended.32,38

The decision to administer facial biostimulatory fillers before or after energy-based therapies depends on the type and depth of treatment.7 Based on research involving other fillers, such as hyaluronic acid (HA) and calcium hydroxyapatite (CaHA), experts generally recommend applying HIFU first, followed by injectable fillers, as a standard approach.1,5,7,39 If both treatments are performed in the same session, MiFU should be applied first, followed by PLLA-SCA injection, to prevent water displacement from interfering with the targeted tissue depths and to avoid blood contamination of the ultrasound transducers.2

Conversely, in patients with a very low body mass index (BMI), skin laxity may result from volume depletion, in which case volume restoration should be prioritized before HIFU treatment.39 By restoring lost volume and structural support in the cheeks with fillers like PLLA-SCA, followed by MiFU treatment, fat pads are reinflated, and the zygomatic-buccal retaining ligaments are tightened and lifted. This approach often improves the appearance of nasolabial folds and other facial imperfections without the need for additional procedures.1

Based on the authors’ experience, it is safe to apply line counts approximately 20% above the manufacturer’s recommendation to achieve enhanced results; however, this approach may also increase patient discomfort. In a consensus guideline on MiFU applications, experts universally agreed that energy settings should be adjusted to the highest tolerable level, with titration as needed for patient comfort.41 Further research is warranted to assess the safety and efficacy of this approach.

Post-procedure care is essential to minimize the main

Clinical Assessment

Clinical Indications

Table 2: Recommendations on the use of PLLA-SCA

•Evaluate skin laxity, amount of adipose tissue and the general outline of the area to be treated.

•Mild to moderate facial or body laxity.

•Fat compaction, even in the presence of saggy skin.

• Need for lifting and improvement of facial outline (e.g., jowl, upper eyelids with repositioning of the eye-

brow tail, lower eyelids with or without bags)

•Slim face: superficial transducers

•Heavy face: deeper transducers

•Concomitant perioral and periorbital rejuvenation.

• Nonfacial areas: sagging skin in regions such as the arms, neck, décolletage, abdomen, buttocks, inner thighs, knees, and around the navel.

•Immune-mediated diseases involving the skin.

•Pregnancy.

Contraindications

Preoperative care

Tested MiFU devices

MiFU technique

MiFU sessions

Interval between MiFU sessions

Sequencing in the use of both technologies

During the procedure

Postoperative care

Potential side effects

Follow-up

1PMMA: polymethyl methacrylate.

•Local infection.

•Presence of permanent fillers at the application site (e.g., PMMA1).

•Local metallic prosthesis.

•Mapping of the treatment area.

• Application of topical anesthetic.

•Use of anesthetic buttons for cannula insertion.

• Asepsis and antisepsis.

•Ultraformer®, Liftera®, Scanner®, Caneta®, UltracelQ+®, Atria®

• Apply a thin layer of gel.

•Follow the manufacturer’s instructions and adjust the device settings according to the patient’s indications.

•1-3 sessions.

•Minimum of 30 days.

• MiFU should be performed first, followed by PLLA-SCA, optionally within the same session.

• After MiFU application, allow the patient’s skin to cool for approximately 10 minutes to minimize the risk of bruising.

•Immediate postoperative massage with a degerming agent.

•Face: massage for 5 min, five times a day for 5 days.

•Nonfacial areas: massage for 5 minutes, twice a day for 7 days.

•Painkillers, if necessary.

• Avoid corticosteroids post-procedure, based on group experience.

•Edema and localized pain.

•Hematoma, transient nodules, and nerve damage.

•Phone follow-up 24 hours after the procedure.

•Follow-up at 3 to 6 months with standardized photographs.

side effects of both technologies, particularly when used in the same session. A common recommendation for facial treatment is a massage regimen in the treated area for 5 minutes, 5 times a day, for 5 days, which helps prevent nodule and papule formation. Additionally, maintaining a one-month interval between sessions can help avoid overcorrection.3,4,6,30,42 Similarly, for large non-facial areas, such as the gluteal region, it is recommended to massage the treated area in circular motions for 5 minutes, twice daily, for 5 to 7 days post-procedure to reduce bruising.37 Since both PLLA-SCA and energy-based devices stimulate collagen production through a wound-healing response, it is important to systematically evaluate patients for preexisting immune-mediated diseases. Chronic treatment with anti-inflammatory or immunosuppressive medications may impair the body’s ability to recover from thermal injury.39

Table 4 presents the authors’ recommendations for combining MRF with PLLA-SCA. RF therapy targets both the skin and soft tissue, inducing contraction by optimally heating dermal collagen while protecting the epidermis from injury.25 There are three primary types of RF energy—monopolar, bipolar, and multipolar—which differ in the number of emitting electrodes and depth of energy penetration. Monopolar RF is particularly effective for eyelid skin tightening, as the haptic contact lens protects the globe.1 RF energy can be delivered as bulk or fractional heating, with fractional modes allowing for interspersed untreated areas, promoting faster healing and reduced downtime.27 MRF further enhances skin tightening and adipose tissue remodeling by delivering energy through microneedles at a predetermined depth.This approach provides quick recovery, minimal downtime, and a low risk of pigmentation or skin infection.28

associated with microfocused ultrasound (MiFU) PLLA-SCA combined with MiFU

Clinical Assessment

Clinical Indications

Contraindications

Preoperative care

Tested MaFU devices

MaFU technique

MaFU sessions

Interval between MaFU sessions

Sequencing of both technologies

During the procedure

Postoperative care

Potential side effects

Follow-up

• Evaluate skin laxity, amount of adipose tissue and the general outline of the area to be treated.

• Mild to moderate body laxity associated with localized fat in a small to moderate amount.

•Submental laxity associated with localized fat in a small to moderate amount.

• Definition of body contour, especially of the buttocks, abdomen, arms, umbilical region, knees, and thighs.

•Immune-mediated diseases with skin involvement.

•Pregnancy.

•Local infection.

•Definitive fillers at the application site (e.g., PMMA).

•Metallic prosthesis on the treated area.

•Mapping of the treatment area.

•Use of analgesics and topical anesthetics.

• Anesthetic buttons for cannula insertion.

• Asepsis and antisepsis.

•Scanner®, Ultraformer®, Atria®, Liftera®, UltracelQ+®

• Apply a thin layer of gel.

•Follow the manufacturer’s instructions and adjust device settings according to the patient’s indications.

•Select the appropriate transducer and calculate line counts based on the target depth and fat volume.

• When treating sagging skin, MaFU can be combined with MiFU transducers to enhance results.

•Start with deeper layers and progress to more superficial layers.

•1-3 sessions.

•Minimum of 30 days.

•MaFU should be performed first, followed by PLLA-SCA, optionally within the same session.

• If the goal is fat tissue compaction, perfor m two MaFU sessions first, then apply PLLA-SCA immediately after the third MaFU session.

• After MaFU application, allow the patient’s skin to cool for approximately 10 min to minimize the risk of bruising.

•Immediate postoperative massage with a degerming agent.

•Face: massage five times a day for 5 days.

•Nonfacial areas: massage twice a day for 7 days.

•Painkillers, if necessary.

• Avoid corticosteroids post-procedure, based on group experience.

•Edema and localized pain.

•Hematoma, transient nodules, and nerve or vascular damage.

•Phone follow-up 24 hours after the procedure.

•Follow-up at 3 to 6 months with standardized photographs.

Antiviral therapy may be indicated before microneedling treatment, especially for patients with a history of prior viral infections, in accordance with current surgical guidelines. Additionally, standardized microneedling protocols should be developed, incorporating regulatory guidelines on prophylactic therapy and recommendations for medication suspension in patients on anticoagulants.43

Table 4 presents the authors’ recommended protocols for combining PLLA-SCA with MRF. According to expert recommendations, the primary indications for this combination include the treatment of mild to severe skin laxity, attenuation of fine lines and ridges, and targeting fat compartments when using multilayer MRF devices.

Carruthers & Carruthers44 proposed the use of RF and HIFU devices to address skin laxity and submental fat accumulation after first rebuilding the supporting structures around the mouth and jawline using PLLA-SCA.44 Theoretically, MRF microneedles could enable the physical transdermal delivery of macromolecules with high molecular masses. However, concerns have been raised regarding whether the heat and energy delivered might accelerate filler degradation.45

A retrospective study of 28 patients treated with different fillers in combination with MRF found no unexpected filler loss or migration, even in highly expressive facial areas, after three treatment passes.46 Similarly, animal studies have demonstrated that monopolar RF applied over PLLA-SCA injections signi-

Table 3: Recommendations for the use of PLLA-SCA in combination with macrofocused ultrasound (MaFU)
PLLA-SCA combined with MaFU

Table 4: Recommendations for the use of PLLA-SCA in combination with microneedle radiofrequency (MRF)

PLLA-SCA combined with MRF

•Evaluate skin laxity, adipose tissue volume, and overall contour of the treatment area.

Clinical Assessment

Clinical Indications

Contraindications

Preoperative care

Tested MRF devices

MRF technique

MRF sessions

Interval between MRF sessions

Sequencing in the use of technologies

During the procedure

Postoperative care

Potential side effects

Follow-up

• Assess the presence of skin texture changes, including dermal atrophy, photodamage, scars, wrinkles, and stretch marks.

•Mild to severe skin laxity.

•Overall skin improvement, including reduction of fine lines and ridges.

•Simultaneous fat compartment reduction when using multilayer MRF devices.

•Immune-mediated diseases involving the skin.

•Pregnancy.

•Local infection.

•Presence of permanent fillers at the application site (e.g., PMMA)

•Recent facial filler injection (less than 6 months), if using multilayer MRF devices.

•Use of a pacemaker.

•Metallic prosthesis in the treatment area.

•Presence of tattoos or micropigmentation in the treatment area.

• Avoid treatment on tanned skin.

• Topical anesthetic, possibly combined with anesthetic block or infiltration.

•Herpetic infection prophylaxis for facial treatments.

• Anticoagulant regimen: assess whether suspension is possible on the day of the procedure and the day after.

•Potential use of anesthetic sedation, particularly with multilayer devices.

• Asepsis and antisepsis.

• Traditional MRF devices (Endymed®, Agnis®, Eletroderme®)

•Multilayer devices (Morpheus®, MegaDerma®)

•Follow manufacturer’s instructions and adjust device settings based on the patient’s indications.

•Depth, intensity, and duration vary according to patient assessment.

•Inducing pinpoint bleeding is not necessary, though it may occur after the MRF session.

•1-3 sessions.

•Minimum of 30 days.

•MRF should be performed first, followed by PLLA-SCA, optionally within the same session.

• According to one research author’s experience, the order can be reversed (PLLA-SCA first, then MRF) when using traditional, nonmultilayer devices.

• Adjust flow according to the treatment area.

•Perform an immediate massage using sterile or drug-delivery products.

•LED light application (in office, for recovery).

•If large areas were treated, avoid wetting the skin on the day of the procedure.

•Hydration with soothing and healing, repairing creams.

•Intensive photoprotection and avoid sports for 24 hours.

• Avoid sun exposure until the skin is fully recovered.

•Painkillers, when necessary.

•Pain and local swelling.

•Post-inflammatory hyperchromia and hypochromia

•Phone follow-up 24 hours after the procedure.

•Follow-up at 3 to 6 months with standardized photographs.

ficantly enhances the inflammatory, foreign body, and fibrotic responses, which are essential for the clinical improvements observed. Additionally, RF treatment over filler-injected skin did not reduce the residence time of PLLA-SCA but instead enhanced collagen deposition within and around the treated areas.47,48

Beyond its applications in volume restoration, biostimulatory fillers such as PLLA-SCA have been used to mitigate acne scars, particularly where volume loss and tissue redistribution exacerbate scarring. A randomized controlled study reported that combining topical polylactic acid (PLA) injection before MRF significantly improved acne scars compared to MRF monotherapy. After three sessions at 4–6-week intervals, patient

satisfaction scores and acne scar assessments were statistically superior with the combination approach.45

The interaction between RF and dermal fillers varies based on several factors, including RF type, energy level, filler type, depth of injection, and the interval between treatments.49 While some researchers suggest that fillers can be combined with RF devices on the same day without an increase in adverse effects or a decrease in efficacy,50 other studies have documented HA degradation when RF is applied immediately after filler injection49. An ex vivo study demonstrated that MRF applied over recently injected filler could damage HA due to its deeper dermal penetration.51 Conversely, a case study found that MRF performed

one week after HA injection showed no evidence of HA degradation after 8 weeks, with no breakdown or extravasation into the epidermis.52 These findings suggest that treatment order and session intervals are crucial for optimal treatment outcomes and filler longevity.

While the recommendations presented in this study are based on several years of the authors’ multicenter clinical experience and currently available literature, certain limitations must be acknowledged. The primary limitation is the level of evidence, as these guidelines rely on expert opinion rather than large-scale clinical trials. Further clinical and histological studies in large patient cohorts are needed to develop robust, evidence-based guidelines for combined aesthetic technologies in skin rejuvenation.

CONCLUSIONS

The combination of energy-based devices and fillers has become an integral part of clinical practice for patients seeking minimally invasive treatments to address multiple aspects of skin aging and achieve enhanced results. However, there remains a gap in the literature regarding the integration of PLLA-SCA with energy-based technologies, particularly concerning treatment sequencing, session intervals, device selection, injection methods, and application techniques. Based on the available evidence and the authors’ clinical experience, this combination has been shown to be both safe and effective for improving skin quality in facial and non-facial areas. By targeting multiple skin layers and tissue types in a single session, this approach enhances treatment outcomes, reduces recovery time, and provides long-lasting aesthetic benefits for patients.

Acknowledgments

The authors thank Mauricio Dourado for the technical and editorial support. l

REFERENCES:

1. Carruthers J, Burgess C, Day D, Fabi SG, Goldie K, Kerscher M, et al. Consensus recommendations for combined aesthetic interventions in the face using botulinum toxin, fillers, and energy-based devices. Dermatol Surg. 2016;42(5):586-97.

2. Hart DR, Fabi SG, White WM, Fitzgerald R, Goldman MP. Current concepts in the use of PLLA: clinical synergy noted with combined use of microfocused ultrasound and poly-l-lactic acid on the face, neck, and décolletage. Plast Reconstr Surg. 2015;136(5 Suppl):180S-187S.

3. Shridharani SM, Tisch GM, Ebersole TG, Moak TN, Edwartz C. Clinical experience of poly-L-lactic acid injections for body contouring treatment. J Cosmet Dermatol. 2021;20(6):1655-62.

4. Friedmann DP, Fabi SG, Goldman MP. Combination of intense pulsed light, sculptra, and ultherapy for treatment of the aging face. J Cosmet Dermatol. 2014;13(2):109-18.

5. Melo F, Carrijo A, Hong K, Trumbic B, Vercesi F, Waldorf HA, et al. Minimally invasive aesthetic treatment of the face and neck using combinations of a PCL-based collagen stimulator, PLLA/PLGA suspension sutures, and cross-linked hyaluronic acid. Clin Cosmet Investig Dermatol. 2020;13:333-44.

6. Peterson JD, Kilmer SL. Three-dimensional rejuvenation of the décolletage. Dermatol Surg. 2016;42 Suppl 2:S101-7.

7. Langelier N, Beleznay K, Woodward J. Rejuvenation of the upper face and periocular region: combining neuromodulator, facial filler, laser, light, and energy-based therapies for optimal results. Dermatol Surg. 2016;42 Suppl 2:S77-82.

8. Casabona G, Michalany N. Microfocused ultrasound with visualization and fillers for increased neocollagenesis: clinical and histological evaluation. Dermatol Surg. 2014;40 Suppl 12:S194-8.

9. Almukhtar RM, Wood ES, Loyal J, Hartman N, Fabi SG. A randomized, single-center, double-blinded, split-body clinical trial of poly- l -lactic acid for the treatment of cellulite of the buttocks and thighs. Dermatol Surg. 2023;49(4):378-82.

10. Morgan P, Bråsäter D, Öhrlund A. Product manufacturing process for poly-l-lactic acid (PLLA-SCA). Poster presented at the International Master Course on Aging Science (IMCAS) World Congress, 26 January to 28 January 2023, Paris, France.

11. Munia C, Parada M, Morais MHA. Changes in facial morphology using poly-l-lactic acid application according to vector technique: a case series. J Clin Aesthet Dermatol. 2022;15(7):38-42.

Surg Cosmet Dermatol. 2025;v.17: n.1 jan-mar. p 33-42.

12. Trinh LN, Gupta A. Non-hyaluronic acid fillers for midface augmentation: a systematic review. Facial Plast Surg. 2021;37(4):536-42.

13. Zhang Y, Liang H, Luo Q, Chen J, Zhao N, Gao W, et al. In vivo inducing collagen regeneration of biodegradable polymer microspheres. Regen Biomater. 2021;8(5):rbab042.

14. Christen MO. Collagen stimulators in body applications: a review focused on poly-l- lactic acid (PLLA). Clin Cosmet Investig Dermatol. 2022;15:997-1019.

15. Coleman WP 3rd, Coleman W 4th, Weiss RA, Kenkel JM, Ad-El DD, Amir R. A multicenter controlled study to evaluate multiple treatments with nonthermal focused ultrasound for noninvasive fat reduction. Dermatol Surg. 2017;43(1):50-7.

16. Park JY, Lin F, Suwanchinda A, Wanitphakdeedecha R, Yu J, Lim TS, et al. Customized treatment using microfocused ultrasound with visualization for optimized patient outcomes: a review of skin-tightening energy technologies and a pan-asian adaptation of the expert panel's gold standard consensus. J Clin Aesthet Dermatol. 2021;14(5):E70-E79.

17. Kumar V, Jain A, Vadera S, Shome D, Kapoor R. Effectiveness of HIFU Therapy for nonsurgical facial and body contouring: a systematic review of prospective and experimental studies. Plast Reconstr Surg. 2023;151(3):533-44.

18. Khan U, Khalid N. A systematic review of the clinical efficacy of micro-focused ultrasound treatment for skin rejuvenation and tightening. Cureus. 2021;13(12):e20163.

19. Park JY, Youn S, Hong W, Lee KC, Kim I. Treatment protocol on using microfocused ultrasound with visualization for skin quality improvement: the korean experience. Plast Reconstr Surg Glob Open. 2023;11(5):e5029.

20. Casabona G, Kaye K. Facial skin tightening with microfocused ultrasound and dermal fillers: considerations for patient selection and outcomes. J Drugs Dermatol. 2019;18(11):1075-82.

21. Choi SY, No YA, Kim SY, Kim BJ, Kim MN. Tightening effects of high-intensity focused ultrasound on body skin and subdermal tissue: a pilot study. J Eur Acad Dermatol Venereol. 2016;30(9):1599-602.

22. Ling J, Zhao H. A systematic review and meta-analysis of the clinical efficacy and patients' satisfaction of Micro-focused Ultrasound (MFU) treatment for facial rejuvenation and tightening. Aesthetic Plast Surg. 2023;47(5):1806-23.

23. Ayatollahi A, Gholami J, Saberi M, Hosseini H, Firooz A. Systematic review and meta- analysis of safety and efficacy of high-intensity focused ultrasound (HIFU) for face and neck rejuvenation. Lasers Med Sci. 2020;35(5):1007-24.

24. Chao JR, Porter JP, Hessler J. Cosmetic treatments with energy-based devices in skin of color. Facial Plast Surg. 2023;39(5):496-500.

25. Hendricks AJ, Farhang SZ. Dermatologic facial applications of Morpheus8 fractional radiofrequency microneedling. J Cosmet Dermatol. 2022;21 Suppl 1:S11-S19.

26. Feng J, Zhang L, Qi J, Huang L. Histological damage characteristics and quantitive analysis of porcine skin with non-insulated microneedle radiofrequency. Skin Res Technol. 2023;29(6):e13396.

27. Magro I, Kochhar A, Arnaoutakis D, Karimi K. Transcutaneous radiofrequency microneedling in the facial plastic surgeon's practice: a review. Facial Plast Surg Aesthet Med. 2022;24(S1): S3-S10.

28. Wu X, Zhang Z, Zhu J, Lu S, Chen C, Wu X, et al. Can microneedle fractional radiofrequency system treatment impair the skin barrier function in chinese patients? A prospective clinical trial. Dermatol Ther (Heidelb). 2022;12(10):2371-82.

29. Suh DH, Cho M, Kim HS, Lee SJ, Song KY, Kim HS. Clinical and histological evaluation of microneedle fractional radiofrequency treatment on facial fine lines and skin laxity in Koreans. J Cosmet Dermatol. 2023;22(5):1507-12.

30. Bravo BSF, Carvalho RM. Safety in immediate reconstitution of poly-l-lactic acid for facial biostimulation treatment. J Cosmet Dermatol. 2021;20(5):1435-8.

31. Baumann K, Alm J, Norberg M, Ejehorn M. Immediate use after reconstitution of a biostimulatory poly-l-lactic acid injectable implant. J Drugs Dermatol. 2020;19(12):1199-203.

32. 32. Mazzuco R, Dal'Forno T, Hexsel D. Poly-l-lactic acid for nonfacial skin laxity. Dermatol Surg. 2020;46 Suppl 1:S86-S88.

33. Vleggaar D, Fitzgerald R, Lorenc ZP, Andrews JT, Butterwick K, Comstock J, et al. Consensus recommendations on the use of injectable poly-L-lactic acid for facial and nonfacial volumization. J Drugs Dermatol. 2014;13(4 Suppl):s44-51.

34. Palm M, Weinkle S, Cho Y, LaTowsky B, Prather H. A randomized study on plla using higher dilution volume and immediate use following reconstitution. J Drugs Dermatol. 2021;20(7):760-6.

35. Avelar LET, Haddad A. Facial assessment for poly-l-lactic acid application— one product, different outcomes. J Dermat Cosmetol. 2023;7(3):75-7.

36. Durairaj KK, Devgan L, Lee Bs A, Khachatourian Bs N, Nguyen Bs V, Issa Bs T, et al. Poly-L-Lactic acid for gluteal augmentation found to be safe and effective in retrospective clinical review of 60 patients. Dermatol Surg. 2020;46 Suppl 1:S46-S53.

37. Sarubi J, Guarnieri C, Del Nero MP, Kamamoto C, Honda M, Saito F, et al. Targeted and individualized gluteal poly-l- lactic acid injection for optimal aesthetic results in the gluteal region. J Clin Aesthet Dermatol. 2023;16(6):30-6.

38. Coleman KM, Pozner J. Combination therapy for rejuvenation of the outer thigh and buttock: a review and our experience. Dermatol Surg. 2016;42 Suppl 2:S124-30.

39. Fabi SG, Joseph J, Sevi J, Green JB, Peterson JD. Optimizing patient outcomes by customizing treatment with microfocused ultrasound with visualization: gold standard consensus guidelines from an expert panel. J Drugs Dermatol. 2019;18(5):426-32.

40. Azuelos A, SidAhmed-Mezi M, La Padula S, Aboud C, Meningaud JP, Hersant B. High- intensity focused ultrasound: a satisfactory noninvasive procedure for neck rejuvenation. Aesthet Surg J. 2019;39(8): NP343-NP351.

41. Fabi SG, Burgess C, Carruthers A, Carruthers J, Day D, Goldie K, et al. Consensus recommendations for combined aesthetic interventions using botulinum toxin, fillers, and microfocused ultrasound in the neck, décolletage, hands, and other areas of the body. Dermatol Surg. 2016;42(10):1199-208.

42. Wu DC, Goldman MP. The efficacy of massage in reducing nodule formation after poly-l-lactic acid administration for facial volume loss: a randomized, evaluator- blinded clinical trial. Dermatol Surg. 2016;42(11):1266-1272. Erratum in: Dermatol Surg. 2017;43(7):1001.

43. Chu S, Foulad DP, Atanaskova MN. Safety profile for microneedling: a systematic review. Dermatol Surg. 2021;47(9):1249-14.

44. Carruthers J, Carruthers A. A multimodal approach to rejuvenation of the lower face. Dermatol Surg. 2016;42 Suppl 2:S89-93.

45. An MK, Hong EH, Suh SB, Park EJ, Kim KH. Combination therapy of microneedle fractional radiofrequency and topical poly-lactic acid for acne scars: a randomized controlled split-face study. Dermatol Surg. 2020;46(6):796-802.

46. Wang JV, Valiga A, Albornoz CA, Geronemus RG. Safety of combining cosmetic injectables with radiofrequency microneedling: a 4.5-year review. J Cosmet Dermatol. 2021;20(4):1084-5.

47. Shumaker PR, England LJ, Dover JS, Ross EV, Harford R, Derienzo D, et al. Effect of monopolar radiofrequency treatment over soft-tissue fillers in an animal model: part 2. Lasers Surg Med. 2006;38(3):211-7.

48. England LJ, Tan MH, Shumaker PR, Egbert BM, Pittelko K, Orentreich D, et al. Effects of monopolar radiofrequency treatment over soft-tissue fillers in an animal model. Lasers Surg Med. 2005;37(5):356-65.

49. Jurairattanaporn N, Amornpetkul W, Rutnin S, Vachiramon V. The effect of combined hyaluronic acid filler injection and radiofrequency treatment: a clinic histological analysis. J Cosmet Dermatol. 2023;22(3):798-803.

50. Humphrey S, Beleznay K, Fitzgerald R. Combination therapy in midfacial rejuvenation. Dermatol Surg. 2016;42 Suppl 2:S83-8.

51. Hsu SH, Chung HJ, Weiss RA. Histologic effects of fractional laser and radiofrequency devices on hyaluronic acid filler. Dermatol Surg. 2019;45(4):552-6.

52. Shao EX, Lim D. Stability of hyaluronic acid fillers after insulated microneedle radiofrequency treatment. Dermatol Surg. 2019;45(9):1213-6.

AUTHOR’S CONTRIBUTION:

Taciana Dal´Forno 0000-0003-0848-9042

Final approval of the manuscript; study conception and planning; manuscript drafting and writing; data collection, analysis, and interpretation; active participation in research supervision; intellectual contribution to the diagnostic and/or therapeutic management of studied cases; critical literature review; critical manuscript review.

Maria Paula Del Nero 0000-0002-5369-3504

Final approval of the manuscript; study conception and planning; manuscript drafting and writing; data collection, analysis, and interpretation; active participation in research supervision; intellectual contribution to the diagnostic and/or therapeutic management of studied cases; critical literature review; critical manuscript review.

Fernanda Nunes 0009-0002-2057-7344

Final approval of the manuscript; study conception and planning; manuscript drafting and writing; data collection, analysis, and interpretation; active participation in research supervision; intellectual contribution to the diagnostic and/or therapeutic management of studied cases; critical literature review; critical manuscript review.

Cíntia Cunha 0009-0009-4919-4882

Final approval of the manuscript; study conception and planning; manuscript drafting and writing; data collection, analysis, and interpretation; active participation in research supervision; intellectual contribution to the diagnostic and/or therapeutic management of studied cases; critical literature review; critical manuscript review.

Alessandra Haddad 0000-0002-5552-7251

Final approval of the manuscript; study conception and planning; manuscript drafting and writing; data collection, analysis, and interpretation; active participation in research supervision; intellectual contribution to the diagnostic and/or therapeutic management of studied cases; critical literature review; critical manuscript review.

Adriana Vilarinho 0009-0006-7381-6299

Final approval of the manuscript; study conception and planning; manuscript drafting and writing; data collection, analysis, and interpretation; active participation in research supervision; intellectual contribution to the diagnostic and/or therapeutic management of studied cases; critical literature review; critical manuscript review.

Alessandra Nogueira 0009-0005-9951-9471

Final approval of the manuscript; study conception and planning; manuscript drafting and writing; data collection, analysis, and interpretation; active participation in research supervision; intellectual contribution to the diagnostic and/or therapeutic management of studied cases; critical literature review; critical manuscript review.

Rafael Tomaz 0000-0001-8775-2173

Final approval of the manuscript; study conception and planning; manuscript drafting and writing; data collection, analysis, and interpretation; active participation in research supervision; intellectual contribution to the diagnostic and/or therapeutic management of studied cases; critical literature review; critical manuscript review.

www.surgicalcosmetic.org.br/

Efficacy and safety of silicone adhesives in improving signs of periorbital aging: a pilot study

Eficácia e segurança dos adesivos de silicone na melhora de sinais de envelhecimento periorbital: estudo piloto

DOI: http://www.dx.doi.org/10.5935/scd1984-8773.2025170339

ABSTRACT

IntroductIon: Multiple treatments that promise to prevent or treat skin aging act on cellular functions, reducing skin aggression mechanisms, or even on the loss of skin barrier properties. Silicone adhesives appear to have a positive effect on barrier function and modulation of inflammation, but their clinical effects have not yet been documented.

objectIve: To evaluate the effectiveness of silicone adhesives in reducing the signs of periorbital aging.

Methods: 33 patients between 35 and 55 years old with a clinical diagnosis of aging in the periorbital region were selected; Of these, 23 underwent hydration measurements (corneometry) and skin relief (prophylometry). All participants used the patches daily for a period of 30 days.

results: After four weeks of use, the application of silicone adhesives provided a significant improvement in hydration levels and the skins microrelief, making it smoother. The clinical and subjective evaluation corroborated these findings, and also showed a relevant improvement in clinical and subjective parameters such as hydration, softness, texture, and expression lines.

conclusIon: The continued use of silicone adhesives demonstrated a beneficial effect on some signs of aging, possibly related to improved hydration and modulation of inflammation.

Keywords: Skin Aging; Epidermis; Silicone Elastomers.

RESUMO

Introdução: Múltiplos tratamentos que prometem prevenir ou tratar o envelhecimento da pele atuam nas funções celulares, reduzindo os mecanismos de agressão à pele e minimizando a perda das propriedades da barreira cutânea. Os adesivos de silicone parecem ter uma ação positiva na função barreira e na modulação da inflamação, mas seus efeitos clínicos ainda não haviam sido documentados.

objetIvo: Avaliar a eficácia dos adesivos de silicone na redução dos sinais do envelhecimento periorbital. Métodos: Foram selecionadas 33 pacientes, com idades entre 35 e 55 anos, com diagnóstico clínico de envelhecimento na região periorbital. Destas, 23 foram submetidas a medidas de hidratação (corneometria) e de relevo da pele (profilometria). Todas as participantes utilizaram diariamente os adesivos por um período de 30 dias. resultados: Após 4 semanas de uso, a aplicação do adesivo de silicone proporcionou uma melhora significativa dos níveis de hidratação e do microrrelevo da pele, tornando-a mais lisa. As avaliações clínica e subjetiva corroboraram esses achados, além de haver melhora relevante em parâmetros clínicos e subjetivos como hidratação, maciez, textura e linhas de expressão.

ConClusão: O uso continuado dos adesivos de silicone demonstrou efeitos benéficos sobre alguns sinais do envelhecimento, possivelmente relacionados à melhora da hidratação e à modulação da inflamação.

Palavras-chave: Envelhecimento da Pele; Epiderme; Elastômeros de Silicone.

Original Article

Authors:

Flávia Alvim Sant’anna Addor1

Ludmila Coelho Donato2 Thiago Silva Raposo2 Dayana da Costa Salome2

1 Grupo MEDCIN, Pesquisa Clínica, Osasco (SP), Brazil

2 Silimed Industria de Implantes Ltda., Pesquisa Clínica, Rio de Janeiro (RJ), Brazil

Correspondence: Flavia Alvim Sant’Anna Addor flavia.addor@medcin.com.br

Financial support: Silimed donated the samples for the study and provided financial support for the clinical assessments.

Conflicts of interest: None. Is it a Clinical Trial? CAEE: 66692823.7.0000.5514 Ethics committee number: 5514

Submitted on: 10/01/2024 Approved on: 29/02/2024

How to cite this article: Addor FAS, Donato LC, Raposo TH, Salome DC. Efficacy and safety of silicone adhesives in improving signs of periorbital aging: a pilot study. Surg Cosmet Dermatol. 2025;17:e20250339.

INTRODUCTION

Skin aging consists of a decline in cellular function, with functional and clinical repercussions. In the epidermis, a reduction in the skin barrier leads to dryness and loss of immune function, while in the dermis, a reduction in the synthesis and organization of the extracellular matrix leads to progressive thinning and loss of biophysical properties such as density, firmness, and elasticity.1 There are multiple treatments that promise to prevent or treat these phenomena, either by stimulating keratinocytes and fibroblasts, or by reducing mechanisms of aggression to the skin, such as oxidation, inflammation, or even the loss of skin barrier properties.2-4 Silicone adhesives are widely used to prevent hypertrophic scars and keloids, and to complement the treatment of these conditions. The mechanism of action in modulating the healing response is still unclear, but studies show that, in addition to the mechanical effect of restricting mobilization of the skin under repair, silicone seems to modulate the inflammation present in the area.5,6 It has been shown that reducing transepidermal water loss plays a role in this modulation, as it contributes to restoring the skin barrier.7 Recently, the use of silicone gel patches has been propagated in the prevention and improvement of facial wrinkles (periorbital, frontal, glabellar), cervical and pre-sternal areas (“cleavage wrinkles”) due to their mechanical effect, as they reduce skin mobilization in these areas; and a moisturizing effect has also been mentioned. However, no published evidence seems to exist on the effect of plaques on skin wrinkles. Given this scenario, this study aimed to learn about the possible contribution of this device to improving signs of skin aging, specifically periorbital wrinkles, and its possible role in other functional parameters linked to aging, such as hydration levels.

MATERIAL AND METHODS

This is a pilot study including 33 women from a private research center, aged between 35 and 55, with a clinical diagnosis of aging in the periorbital region (presence of dark circles, infraorbital lines and bags). All patients agreed to participate in this study and signed an informed consent form (ICF) before dermatological assessment. After inclusion, all participants received a sample of a silicone patch (MEDGEL ANTIAGE®, Silimed Indústria de Implantes Ltda.) for nighttime application in the infraorbital area, and were instructed not to use any other product

on the site, but a sanitizer Medgel Antiage® is a medical-grade, biocompatible silicone adhesive patch. It is formed by a thin layer of silicone elastomer for support and flexibility, and a layer of silicone gel capable of adapting to the contour of the skin and adhering to the entire intended area The surface in contact with the skin comes with a plastic film for wrapping, so as not to lose its adhesiveness. Medgel Antiage® comes in different shapes to suit the target anatomical regions: eye contour, nasolabial fold, forehead and glabella, and perilabial and neck. Table 1 shows the dimensions of each patch.

Patients were instructed to wash their patches daily as it is suitable to use for 30 days Patients were evaluated by the research dermatologist at the beginning and at the end of the study, who was available for any cases of adverse reactions Of these patients, 23 were randomly selected for hydration measurements using corneometry (Corneometer® MPA 580, Courage & Khazaka) and skin relief (fine lines) using profilometric image analysis (Primos lite® , GFMesstechnik GmgH), at the beginning and at the end of the study On the first day of evaluation, these patients underwent an 8-hour hydration kinetics study to assess the effects of a single application of the adhesive on water levels in the stratum corneum A total of six standardized patches were applied to the inner surface of the forearms in order to evaluate the hydration curve from a single application compared to a control area (no patches used). The patches were removed at 1, 2, 4, 6, and 8 hours and measurements were taken and compared to the control area The study was conducted in accordance with Good Clinical Practice guidelines, Resolution No 466/12, and was approved by the Research Ethics Committee of the Universidade São Francisco under opinion number: 5.887.621 and CAEE: 66692823.7.0000.5514 on February 10, 2023.The study was conducted between May and July.

RESULTS

Of the 33 participants, two were excluded for no follow-up In terms of safety of use, the adverse reactions reported were mild and transient, and did not require discontinuation of the product Mild pruritus (4 participants) mild local heat (1 participant) and mild erythema with burning (1 participant) were reported, but spontaneous regression allowed use The mean age was 46.1 years.

Table 1: Characteristics of the Medgel Antiage® silicone adhesive models

Assessment of clinical efficacy

As for the improvement rate, table 2 shows the results of the clinical evaluation.

Instrumental assessment: hydration of the corneal layer

The kinetic evaluation, to assess the effect of a single application, revealed a statistically significant improvement in hydration levels from hour one (37.1%) and progressively over time, reaching 50.78% in eight hours, as shown in table 3.

Chart 1 shows the effects of hydration levels over time after 28 days, which were statistically significant (p<0.05) with daily use at night.

Instrumental assessment – Skin relief

This assessment shows that lower medians mean an improvement in the parameter, as there is less relief (smoother skin). The results show a statistically significant 14.3% reduction in the depth of periorbital wrinkles after 28 days of use, as shown in chart 2.

Subjective assessment – Questionnaire

The participants completed a questionnaire on the effects of the product evaluated at the end of the study; responses of total or partial agreement for each question were considered positive. Two broader questions were included: improvement in the appearance of aging and appearance of younger skin. Most of the participants rated all the parameters positively, as shown in table 4.

DISCUSSION

The use of silicone adhesives has been studied since the 1990s for the prevention and treatment of keloids and hypertrophic scars,8 becoming the first-line treatment in the most recent guidelines.9,10 As it is more effective in recent scars, it has been suspected that, in addition to a mechanical benefit, it may also have an effect on inflammation. There is evidence that, in addition to greater tissue hydration, silicone has an effect on mast cell activity and interleukin 1 expression, with possible effects on shaping the extracellular matrix.11,12 Based on the assump-

signific ance level

Rejects the hypothesis*

Rejects the hypothesis*

Rejects the hypothesis*

Rejects the hypothesis*

Does not reject the hypothesis*

Does not reject the hypothesis*

Rejects

Rejects the hypothesis*

Rejects the hypothesis* T6h

T8h

Rejects the hypothesis*

Rejects the hypothesis*

Table 2: Patient improvement rate according to clinical assessment – infraorbital area (n=31).
5% significance level
Table 3: Changes in corneometric indices (hydration) up to eight hours after a single application (T0). N=23. *Hypothesis rejected: 5%

Moisturizing effect evaluation

Chart 1: Means of corneometric indices before (D0) and after 28 days (D28) of use of the test product. N=22. P<0.05 in relation to D0

Chart 2: Median depth of wrinkles in the periorbital region before (D0) and after 28 days (D28) of use of the test product (N=22).

*p<0.01 in relation to D0

tion that aged skin finds it more difficult to maintain its barrier function and is more prone to irritation, and that external factors (solar radiation, pollution, etc.) can act as pro-inflammatory agents, silicone adhesives could exert a protective effect, creating a microenvironment conducive to modulating inflammation and restoring the barrier, but no study has yet demonstrated this phenomenon. Silicone adhesives have shown a positive and relevant effect on hydration levels from the first use, the first step in maintaining or even restoring the epidermis; their effects over time, demonstrated in both clinical and instrumental assessments,

showed a significant reduction in periorbital lines, although a possible dermal mechanism of action remains undetermined. Increased hydration is obtained from a recovery of barrier integrity. A study on topical application of silicone showed a significant improvement in transepidermal water loss in patients after ablative procedures.13 Silicone adhesives have been shown to be safe for daily use on the face and eye area, corroborating the safety already observed in several clinical studies. These encouraging results suggest that the use of silicone adhesives can be a safe and effective measure not only for the treatment of

Wrinkle depth evaluation
Wrinkle depth index evaluation

skin aging signs, but possibly during the aftermath of procedures that involve barrier alteration (laser, microneedling, peels, etc.) as long as there are no raw areas, as is recommended for healing lesions.14 Patients with a history of skin allergies and irritations can also benefit from these measures, with improved skin integrity. In short, the evidence found in this study points to promising results in this new alternative of aged skin care.

CONCLUSION

The use of silicone adhesives demonstrated a significant patient-perceived improvement in parameters associated with periorbital skin aging: softness, hydration, texture, vitality, radian-

ce, and participants’ perception of improvement in luminosity, bags around the eyes, and expression lines. These results were corroborated by instrumental assessment, with a significant improvement in the time of hydration measurements (with statistically relevant results from the first use, at all assessment times) and skin relief. These findings indicate that the use of silicone adhesives is a promising resource for treating the signs of skin aging with their continued use, representing the first noncosmetic skin care for home use with proven safety and efficacy; their use should also help to improve the results of local aesthetic procedures, with no the risk of irritation or sensitization. l

REFERENCES:

1. Krutmann J, Schikowski T, Morita A, Berneburg M. Environmentally-induced (Extrinsic) skin aging: exposomal factors and underlying mechanisms. J Invest Dermatol. 2021;141(4S):1096-1103.

2. Boismal F, Serror K, Dobos G, Zuelgaray E, Bensussan A, Michel L. Vieillissement cutané - physiopathologie et thérapies innovantes [Skin aging: pathophysiology and innovative therapies]. Med Sci (Paris). 2020;36(12):1163-1172.

3. Morgado-Carrasco D, Gil-Lianes J, Jourdain E, Piquero-Casals J. Oral supplementation and systemic drugs for skin aging: a narrative review. Actas Dermosifiliogr. 2023;114(2):114- 124.

4. Li K, Meng F, Li YR, Tian Y, Chen H, Jia Q, et al. Application of nonsurgical modalities in improving facial aging. Int J Dent. 2022;2022:8332631.

5. Lansdown AB, Williams A. A prospective analysis of the role of silicon in wound care. J Wound Care. 2007;16(9):404-7.

6. Puzanowska-Tarasiewicz H, Kuêmicka L, Tarasiewicz M. [Biological function of some elements and their compounds. IV. Silicon, silicon acids, silicones].Pol Merkur Lekarski. 2009;27(161):423.

7. Mustoe TA. Evolution of silicone therapy and mechanism of action in scar management. Aesth Plast Surg. 2008;32(1):82-92.

8. Leshaw SM. Silicone use in keloids. West J Med. 1994;160(4):363-4.

9. Monstrey S, Middelkoop E, Vranckx JJ, Bassetto F, Ziegler UE, Meaume S, et al. Updated scar management practical guidelines: non-invasive and invasive measures. J Plast Reconstr Aesthet Surg. 2014;67(8):1017-25.

10. Ekstein SF, Wyles SP, Moran SL, Meves A. Keloids: a review of therapeutic management. Int J Dermatol. 2021;60(6):661-671.

11. Zurada JM, Kriegel D, Davis IC. Topical treatments for hypertrophic scars. J Am Acad Dermatol. 2006;55(6):1024-31

12. Mustoe TA, Gurjala A. The role of the epidermis and the mechanism of action of occlusive dressings in scarring. Wound Repair Regen. 2011;19(Suppl 1):s16–s21.

13. Addor FAS. Efeito do uso de silicone em spray na reparação cutânea em procedimentos envolvendo ablação epidérmica: estudo de 20 casos. Surg Cosmet Dermatol. 2011;3(1):41-46.

14. Sidgwick GP, McGeorge D, Bayat A. A comprehensive evidence-based review on the role of topicals and dressings in the management of skin scarring. Arch Dermatol Res. 2015;307(6):461-77.

AUTHOR’S CONTRIBUTION:

Flavia Alvim Sant’Anna Addor

0000-0003-1851-7342

Approval of the final version of the manuscript, study design and planning, preparation and writing of the manuscript, data collection, analysis, and interpretation, effective participation in research orientation, intellectual participation in the propaedeutic and/or therapeutic conduct of studied cases.

Ludmila Coelho Donato 0000-0003-1838-8464

Statistical analysis, study design and planning, effective participation in research orientation, critical review of the manuscript.

Thiago Silva Raposo 0000-0001-6661-402X

Approval of the final version of the manuscript, study design and planning, effective participation in research orientation, critical review of the manuscript

Dayana da Costa Salome

0000-0001-8886-8872

Approval of the final version of the manuscript, study design and planning, intellectual participation in propaedeutic and/or therapeutic conduct of studied cases, critical review of the manuscript

www.surgicalcosmetic.org.br/

The influence of topical antioxidant use on hair regrowth and skin condition after chemical depilation

A influência do uso de antioxidante tópico no crescimento do cabelo e no estado da pele após depilação química

DOI: http://www.dx.doi.org/10.5935/scd1984-8773.2025170350

ABSTRACT

IntroductIon: Hair restoration treatments for alopecia using existing medications are not always effective, highlighting the need for new therapeutic options.

objectIve: This study aimed to evaluate the effects of a topical gel containing ethyl-methyl-hydroxypyridine succinate (EMHPS) on hair regrowth and biochemical and histological skin parameters in animals following chemical depilation.

Methods: Experiments were conducted on 50 adult male Wistar rats. Alopecia was induced using a commercial depilatory product containing potassium thioglycolate. A 5% EMHPS gel (125 mg/kg) was applied daily to the depilated skin.Trichoscopy, biochemical analysis, and histological examination of skin samples were performed on days 3, 9, and 21 of treatment.

results: The EMHPS gel demonstrated a tendency to accelerate hair regrowth, reduce lipid peroxidation, normalize antioxidant enzyme activity, and restore hydroxyproline and glycosaminoglycan levels in the treated skin compared to the untreated pathology control.

conclusIons: The EMHPS gel primarily influences skin biochemical parameters and may be beneficial for treating forms of alopecia associated with oxidative stress.

Keywords: Hair; Hair Removal; Skin.

RESUMO

Introdução: A restauração capilar durante a alopecia com o auxílio dos medicamentos existentes nem sempre é eficaz, por isso é importante a busca de novos medicamentos para o seu tratamento. objetIvo: Nosso trabalho tem como objetivo estudar o efeito da aplicação tópica de novo gel com succinato de etilmetilhidroxipiridina na restauração capilar e nos parâmetros bioquímicos e histológicos da pele em animais após depilação química.

Métodos: Foram utilizados 50 ratos Wistar machos adultos em experimentos. A alopecia foi modelada com um produto depilatório comercial à base de tioglicolato de potássio.Todos os dias, foi aplicado gel succinato de etilmetilhidroxipiridina a 5% (125 mg/kg) na pele. Após 3, 9 e 21 dias do início do tratamento, realizaram-se tricoscopia, análise bioquímica e investigação histológica das amostras de pele. resultados: Foi demonstrado que o novo gel succinato de etilmetilhidroxipiridina causou tendência à aceleração do crescimento do cabelo, diminuição da peroxidação lipídica, normalização da atividade das enzimas antioxidantes e do conteúdo de hidroxiprolina e glicosaminoglicanos na pele da área de teste em comparação com o controle.

ConClusões: Portanto, o gel succinato de etilmetilhidroxipiridina atua predominantemente nos parâmetros bioquímicos da pele e será útil no tratamento das formas de alopecia que se desenvolvem num contexto de intenso estresse oxidativo.

Palavras-chave: Cabelo; Remoção de Cabelo; Pele.

Original Article

Authors:

Olena Baliuk1

Oleh Akimov2

Olena Vazhnichaya1

Vitalii Kostenko2

Ivan Starchenko3

1 Poltava State Medical University, Department of Pharmacology, Poltava – Poltava, Ukraine.

2 Poltava State Medical University, Department of Pathophysiology, Poltava – Poltava, Ukraine.

3 Poltava State Medical University, Department of Pathological Anatomy and Forensic Medicine, Poltava – Poltava, Ukraine.

Correspondence: Oleh Akimov

E-mail: o.akimov@pdmu.edu.ua

Funding support: None

Conflict of interest: None

Submitted on: 02/20/2024

Approved on: 06/14/2024

How to cite this article: Baliuk O, Akimov O, Vazhnichaya O, Kostenko V, Starchenko I.

How to cite this article: Baliuk O, Akimov O, Vazhnichaya O, Kostenko V, Starchenko I. The influence of topical antioxidant use on hair regrowth and skin condition after chemical depilation. Surg Cosmet Dermatol.2024;16:e02024350.

INTRODUCTION

Healthy hair is often associated with beauty, and hair loss can significantly impact quality of life.1 Alopecia is one of the most common dermatological concerns, with various types requiring pathogenetic treatments aimed at stimulating the anagen phase, delaying catagen, and restoring proper hair thickness.2,3 While oral treatments are available, they carry a high risk of side effects,4 making topical therapy the preferred approach.5

Topical formulations of finasteride and minoxidil are the most widely recognized treatments for alopecia. However, other options include prostaglandins, ketoconazole, vitamins, minerals, herbal preparations, platelet-rich plasma, growth factors, microneedling, laser therapy, and cell-based therapies.6 In cases of scarring alopecia, hair transplantation remains the most effective treatment.7 Despite these options, topical hair restoration treatments are not always effective, highlighting the need for new therapeutic agents or the repositioning of existing drugs.6

From this point of view, antioxidants—particularly ethyl-methyl-hydroxypyridine succinate (EMHPS), also known as Mexidol—are of interest.8 This synthetic heterocyclic antioxidant is considered low-toxic, has a significant safety margin, and is prescribed in some post-Soviet countries for psychoneurological and cardiovascular conditions.9 Computational modeling using the Drug2Ways approach has predicted potential dermatological benefits of EMHPS, suggesting its possible therapeutic application in alopecia.10

Oxidative stress is known to contribute to the development of skin disorders,11 potentially serving as a link between dermatological conditions and hair loss.12 Despite its potent antioxidant properties, topical application of EMHPS in dermatology and cosmetology remains unexplored, and no topical formulations of the drug currently exist. This motivated us to develop an EMHPS gel. The gel formulation was chosen for its ability to deliver bioactive substances promoting tissue regeneration while remaining stable on the treated area and resisting evaporation longer than liquid formulations.13 We decided to investigate the effects of EMHPS gel on hair restoration and skin condition in laboratory rats following chemical depilation, a widely used animal model for studying hair loss in the preclinical testing of drugs and cosmetic products.14 The aim of our study is to evaluate the impact of topical application of the newly developed EMHPS gel on hair regrowth and skin biochemical and histological parameters in animals after chemical depilation.

MATERIALS AND METHODS

Materials

Gel-forming and auxiliary substances, as well as all reagents for biochemical analysis and dyes for histological examination, were obtained from Merck KGaA (Germany). EMHPS was obtained from SPF Microchem LLC (Ukraine). The gel formulation contained 5.0 g of EMHPS, 0.5 g of sodium metabisulfite, 1.0 g of polyvinyl alcohol, 2.0 g of carbomer 940, 2.8 g of TRIS, and distilled water up to 100.0 g. It was prepared using standard

laboratory techniques. First, EMHPS and sodium metabisulfite were dissolved in 2/5 of the required total amount of water. Separately, polyvinyl alcohol was dissolved in another 2/5 of the total water by heating in a water bath. The two solutions were then combined. Finally, carbomer 940 and TRIS, which had been pre-dissolved in the remaining 1/5 of the total water, were gradually added with continuous stirring until a gel was formed.

Model pathology and experimental therapy

A total of 50 adult male Wistar rats (122–126 days old, weighing 185–215 g) were housed in groups of five per cage under standard laboratory conditions (standard diet and water ad libitum). They were maintained on a standard laboratory diet with ad libitum access to water in a temperature-controlled room with a 12-hour light-dark cycle. The study protocol was approved by the Committee on Bioethics and Ethical Issues at Poltava State Medical University (No. 220, October 25, 2023).

All rats were pre-selected to be in the telogen phase of the hair growth cycle based on their age.15 They were then randomly assigned to four groups: intact control, pathology control, reference, and experimental groups.

Alopecia was induced by chemically depilating the animals’ backs. An 8 cm × 4 cm skin area was treated with a commercial depilatory product containing potassium thioglycolate.16 The product was applied in a thin layer for 10 minutes. Once the hair was dissolved, it was removed, and the skin was thoroughly washed with water and dried with a napkin. Treatment began immediately after the depilated skin area was dried.

The EMHPS gel was applied to the test area at a dose of 125 mg/kg (approximately 0.5 mL per rat). Treatment was administered once daily at the same time each day. After gel application, each animal was isolated for 30 minutes before being returned to its cage. Treatment continued until 24 hours before euthanasia.

As a reference treatment, a 2% minoxidil solution (Industrial Pharmaceutics Cantabria, S.A., Spain) was applied to the depilated skin at a dose of 30 mg/kg (approximately 0.3 mL per rat) once daily.15

Throughout the experiment, animals’ behavior was monitored, and their body weight was recorded periodically. On days 3, 9, and 21 post-depilation, animals were euthanized by terminal hemorrhage induced by general anesthesia with sodium thiopental (50 mg/kg, JSC Kyivmedpreparat, Ukraine).17

Macroscopic analysis

Trichoscopy and photography were performed with a Firefly DE330T digital trichoscope (USA). Hair growth was scored using a four-tier scoring system: type 1 = uneven, weak hair growth with clearly visible skin; type 2 = low hair density with partially visible skin; type 3 = moderate hair density with no visible skin; type 4 = high hair density with full, thick fur.18

Histological analysis

On day 21, skin samples were collected from the test area of euthanized rats and processed for histological analysis. Samples were stained with hematoxylin and eosin (H&E) according to a standard protocol.19 Microscopic examination was performed using an Olympus BX41 microscope (Olympus, Japan).

Biochemical assays

A 10% tissue homogenate was prepared from the affected skin area using 0.2 M Tris-HCl buffer solution (pH = 7.4). Malondialdehyde (MDA) content was determined based on its reaction with 1-methyl-2-phenyl-indole.20 Superoxide dismutase (SOD) activity was measured by monitoring the kinetics of adrenaline autoxidation.21 Catalase activity was assessed using the molybdate colorimetric method.22 The concentration of free hydroxyproline was determined by a colorimetric assay, which relies on the reaction of pyrrole-2-carboxylic acid, formed during hydroxyproline oxidation, with p-dimethylaminobenzaldehyde in a modified procedure.23 Glycosaminoglycan (GAG) content in skin was analyzed by measuring the concentration of hexuronic acids, which form a colored product in reaction with carbazole, following a modified version of the Dische method.24

All methods were previously validated for 10% tissue homogenate analysis. Optical density measurements were performed using a Ulab 101 spectrophotometer (Ulab, China).

Statistical analysis

The results of biochemical assays were expressed as mean ± standard error of the mean (M±SE). Data were statistically analyzed using one-way analysis of variance (ANOVA) followed by a post-hoc Tukey test. Data normality was assessed using the Shapiro-Wilk test. The Mann-Whitney U test was applied to evaluate the semi-quantitative assessment of hair regeneration. A p-value < 0.05 was considered statistically significant.

RESULTS

Trichoscopy and visual assessment of hair regeneration

Throughout the observation period, no behavioral abnormalities were detected in the control or experimental groups. Changes in body weight were statistically insignificant compared to baseline values.

According to visual examination, intact rats exhibited a thick fur coat typical of this species (Figure 1D), corresponding to type 4 (5/5) (Figure 2). Immediately after chemical depilation, all groups displayed a hairless test area with clean skin (Figure 1A). By day 3, hair regrowth had begun, with similar progression across all groups (Figure 1B). At this stage, hair regeneration was classified as type 1 (5/5) and remained significantly different from the intact group (p < 0.005) (Figure 2A).

D E Surg

A B C

By day 9, differences between the groups became apparent. In the control pathology group, the test area showed noticeable hair regeneration, classified as type 2 (5/5) (Figure 1C), Figure 1: Visual assessment of hair regeneration

Baliuk O, Akimov O, Vazhnichaya O, Kostenko V, Starchenko I.

which remained significantly different from the intact control (p < 0.005) (Figure 2B). In the reference group (minoxidil-treated), there was a trend toward greater hair growth, with type 3 (3/5) (p < 0.1) compared to the control pathology group (Figure 1D, Figure 2B).At the same point, hair regeneration in the EMHPS-treated group was similar to that in the reference group (Figure 1D, Figure 2B), though some hairs in the EMHPS group appeared longer.

By day 21, in the control pathology group, hair coverage had almost returned to normal, with a mix of type 3 (3/5) and type 4 (2/5) pelage (Figure 1D, E). In the EMHPS-treated group, hair regeneration was predominantly type 4 (4/5), though the difference compared to the control pathology group was not statistically significant (Figure 2C). A similar pattern was observed in the reference group, though visually, the fur in this group appeared more uniform than in the EMHPS-treated rats (Figure 2C).

AOverall, macroscopic evaluation suggests both the EMHPS gel and the reference treatment (minoxidil) tended to accelerate hair regrowth following chemical depilation.

Histological changes in skin

After 21 days, rats in the control pathology group exhibited basal cell reactivity, indistinct layer boundaries, granular layer hypertrophy, and the presence of single intraepithelial cysts (Figure 3A). Dermal papillae were well or moderately developed, while hair follicles varied in location and diameter.

In the EMHPS-treated group, the epidermis contained numerous epitheliocytes with hydropic dystrophy and intraepithelial leukocytes (Figure 3B). Stratum corneum showed localized hypertrophy, and basal cell reactivity was still present. A few lymphoplasmacytic infiltrates were observed in the dermis, and microvessels displayed signs of reduced blood supply. Papillae formation was moderate, and hair follicles were unevenly distributed, with some sebaceous glands hypertrophied.

In the minoxidil-treated group, a significant number of epitheliocytes with optically empty vacuoles, intraepithelial leukocytes, and areas of basal cell reactivity were noted in the epidermis (Figure 3C). Dermis contained an increased number of cellular elements and focal clusters. Papillae were well or moderately developed, with a substantial number of hair follicles. Their diameters varied slightly, and some sebaceous glands showed signs of hypertrophy.

B C

For comparison, the histological pattern of intact skin is shown in Figure 3D. Epidermis consisted of 2–6 cell layers with distinct boundaries, with single intraepithelial lymphocytes present. Some epitheliocytes showed signs of hydropic dystrophy. Dermis was composed of connective tissue with well-defined collagen fibers and scattered cellular elements. Papillae were moderately developed, and hair follicles were diffusely distributed or grouped in clusters of 3–5, mostly small to medium in diameter. Sebaceous glands were located near hair follicles, sometimes maintaining a visible connection with them.

Overall, hair regeneration after chemical depilation, both in the absence of pharmacological treatment and following topical application of EMHPS or the reference drug (minoxidil), was associated with histological changes in skin. Notably, pharmacotherapy intensified the skin response compared to the control pathology group.

Biochemical changes in skin

Throughout the observation period, control pathology was associated with increased lipid peroxidation, as evidenced by a significant elevation in MDA concentration (p < 0.001) in the affected skin area compared to intact animals (Figure 4). Minoxidil treatment reduced MDA levels by 1.3-fold (p < 0.001) after 3 days, 1.4-fold (p < 0.001) after 9 days, and 1.2-fold (p < 0.001) after 21 days, compared to untreated depilated skin at the same time points. The EMHPS gel produced a similar effect, reducing MDA concentration by 1.4-fold (p < 0.001) after 3 days, 1.3-

Figure 2: Trichoscopy and visual assessment of hair regeneration

AC B D

Figure 3: Histological pattern of the skin in animals 21 days after the start of experiment. A - Animals with control pathology (hematoxylin and eosin [H&E], x400). B - Animals with topical application of EMHPS gel (H&E, x400). C - Reference group received topical minoxidil (H&E, x250). D - Intact animals (H&E, x30). 1 – areas of stratification in the epidermis; 2 – basal cell hyperplasia; 3 – dermal papilla; 4 – epitheliocytes with hydropic dystrophy; 5 – intraepithelial leukocytes; 6 – lymphoplasmacytic infiltrates in the dermis; 7 – blood vessels; 8 – hair

fold (p < 0.001) after 9 days, and 1.2-fold (p < 0.001) after 21 days relative to the control pathology group. However, at later observation periods, the EMHPS gel had a slightly weaker effect than minoxidil (p < 0.001).

In the control pathology group, SOD activity in the skin decreased 3 days after depilation (p < 0.05) compared to intact rats (Figure 5A). This reduction became even more pronounced after 9 and 21 days (p < 0.001) as the model pathology progressed (Figure 5B, C). Minoxidil treatment increased SOD activity by 1.5- to 1.4-fold (p < 0.001) compared to untreated depilated skin. The EMHPS gel also enhanced SOD activity, with increases of 1.3-fold (p < 0.001) at 3 days, 1.8-fold (p < 0.001) at 9

days, and 1.3-fold (p < 0.001) at 21 days relative to the control pathology group. Notably, after 3 and 21 days, the antioxidant effect of EMHPS was weaker than that of minoxidil (p < 0.002 and p < 0.001, respectively), but after 9 days, it was stronger (p < 0.001).

In the control pathology group, catalase activity initially increased after 3 days (p < 0.001), decreased after 9 days (p < 0.002), and remained unchanged after 21 days compared to the intact control (Figure 6). Minoxidil further increased catalase activity by 1.2-fold (p < 0.001) in 3 days, normalized it after 9 days (p < 0.005), and had no significant effect at 21 days compared to the control pathology group. The EMHPS gel initially reduced catalase activity after 3 days (p < 0.05), increased it by 1.3-fold

O, Akimov O, Vazhnichaya O, Kostenko V, Starchenko I.

A B

(p < 0.001) after 9 days, and had no significant effect at 21 days. The effect of EMHPS differed from minoxidil only in the early observation period (p < 0.001).

The results of biomarker analysis for connective tissue condition in the affected skin area are shown in Figure 7 and Figure 8. In the control pathology group, free hydroxyproline levels remained elevated throughout the study period. After 3 days, hydroxyproline increased 1.9-fold (p < 0.001), after 9 days, 2.0fold (p < 0.001), and after 21 days, 1.5-fold (p < 0.001) compared to the intact control (Figure 7). Minoxidil significantly reduced these values, decreasing hydroxyproline concentration by 1.5-fold (p < 0.001) after 3 days, 1.4-fold (p < 0.001) after 9 days, and 1.2-fold (p < 0.001) after 21 days relative to the control

pathology group. The EMHPS gel also lowered hydroxyproline levels, reducing them by 1.5-fold (p < 0.001) in 3 days, 1.3fold (p < 0.001) in 9 days, and 1.1-fold (p < 0.001) in 21 days compared to the control pathology group. In the early observation period, the effects of EMHPS and minoxidil did not differ, but with continued treatment, EMHPS had a weaker effect on hydroxyproline levels than minoxidil (p < 0.001).

Three days after depilation without pharmacotherapy, GAG concentration in the affected skin increased 1.3-fold (p < 0.001) compared to intact rats (Figure 8A). It remained elevated by 1.2-fold after 9 and 21 days (p < 0.001) (Figure 8B, C). Minoxidil significantly normalized GAG levels after 3 days (p < 0.001) and gradually reduced them over

Figure 4: MDA concentration in skin
Figure 5: SOD activity in skin

C

time (p < 0.001) compared to the control pathology group (Figure 8). The EMHPS gel produced a similar effect: after 3 days, it normalized GAG levels to those of the intact control, and after 9 and 21 days, GAG levels decreased similarly to the minoxidil-treated group.

The EMHPS gel effectively inhibited MDA accumulation, modulated SOD and catalase activity, and reduced free hydroxyproline and total GAG concentrations in a manner comparable to minoxidil, though slightly less effective at certain time points.

DISCUSSION

Visual assessment of hair regeneration after chemical depilation revealed an acceleration of this process in both the

EMHPS-treated group and the minoxidil-treated reference group. However, this improvement was observed as a trend rather than a statistically significant effect, likely due to individual variations in hair regrowth among animals, increasing result variability.14 When examining the test area, differences in hair coat uniformity were also noted. The reference group exhibited a more homogeneous hair coat, whereas in the EMHPS-treated group, particularly after 9 days, individual long hairs were observed. This suggests that EMHPS may have a weaker effect on synchronizing follicle development cycles compared to minoxidil, which is known to influence this process.25

Histopathological analysis showed that chemical depilation without treatment led to basal cell reactivity and an increase

Figure 6: Catalase activity in skin
Figure 7: Hydroxyproline content in skin

A B C

regeneration, the interplay between inflammation, damage repair, and regeneration through inflammatory cytokines and Wnt signaling factors may be more relevant.27, 28 This assumption is further supported by the histopathological observations in the minoxidil-treated group, which also exhibited enhanced reactive skin changes compared to control pathology. The only notable difference between the EMHPS gel and minoxidil was that minoxidil produced greater uniformity in hair follicle size and distribution, which could be considered an advantage of minoxidil.

In addition to histopathological changes, untreated depilation induced oxidative stress, as indicated by increased MDA levels, decreased SOD activity, and fluctuations in catalase activity.This suggests that oxidative stress development was linked to cytokine profile modifications caused by depilation,29 and in the early post-depilation phase, potentially to a general adaptation syndrome. Given interspecies differences in skin structure and hair function, chemical depilation over a large body area in animals likely represents a more severe intervention than localized hair removal in humans.14,18

In depilated animals without pharmacological treatment, MDA levels remained elevated, and SOD activity remained suppressed until the end of the experiment. The early-stage suppression of SOD could result from enzyme inhibition by excess reaction products, whereas in the later stages, it may reflect a decrease in superoxide anion radical production. Since catalase works in tandem with SOD, its fluctuations likely correspond to hydrogen peroxide variations in the superoxide dismutase reaction. Both EMHPS and minoxidil reduced MDA levels, increased SOD activity, and modulated catalase activity, demonstrating antioxidant effects. This outcome was expected for EMHPS, given its established antioxidant properties.8 Considering the known role of oxidative stress in hair growth impairment,30 the inhibition of lipid peroxidation suggests a potentially beneficial pharmacodynamic effect of EMHPS on hair regeneration.

in intraepithelial leukocytes, which persisted until the end of the experiment. These findings align with previous studies reporting histopathological changes in laboratory mice following exposure to conventional depilatory creams.26 The observed reactive inflammation may be attributed to the alkaline properties of the depilatory agent, which can trigger a stronger reaction in rodent skin due to its thinner structure compared to human skin.14,18

Interestingly, the EMHPS gel enhanced reactive skin changes compared to the control pathology group. At first glance, this might seem contradictory, given that EMHPS inhibits free radical-driven prostaglandin synthesis mediated by cyclooxygenase and lipoxygenase.8 However, in the context of hair

The antioxidant activity of minoxidil extended to both inducible antioxidant enzymes (SOD and catalase) and MDA accumulation. Although this property is rarely discussed in literature, it is plausible the effect of minoxidil on oxidative stress biomarkers is related to its ability to chelate intracellular iron.31 Minoxidil exerts multiple pharmacodynamic effects, contributing to hair regrowth through vasodilation, anti-inflammatory action, Wnt/β-catenin pathway activation, and antiandrogenic activity, all of which influence anagen and telogen phase duration.32

When analyzing free hydroxyproline levels, untreated depilation led to a sustained increase throughout the observation period. In this study, a modified hydroxyproline assay (excluding the hydrolysis step) was used, allowing for the interpretation of increased hydroxyproline levels as an indicator of collagen degradation under oxidative stress.33 The EMHPS gel reduced hydroxyproline content, exerting a normalizing effect similar to minoxidil, though less pronounced at 9 and 21 days. For both treatments, this suggests a potential role in regulating the extra-

Figure 8: Glycosaminoglycan concentration in skin

cellular matrix (ECM) and hair follicle regeneration, possibly by reducing oxidative stress intensity and modulating ROS-related signaling pathways.

The ECM is a complex network composed of collagen, proteoglycans, and GAGs.34 In addition to hydroxyproline, GAG content was analyzed, revealing that untreated depilation led to increased GAG levels, which declined following pharmacological treatment. This suggests that GAG accumulation in depilated skin may be linked to proteoglycan degradation caused by excessive ROS generation. The subsequent GAG reduction under treatment may be at least partially attributable to the antioxidant activity of both pharmacological agents, with potential implications for hair follicle function.35

REFERENCES:

1. Davis DS, Callender VD. Review of quality-of-life studies in women with alopecia. Int J Women Dermatol. 2018;4(1):18-22.

2. Coleman E. Types and treatment of hair loss in men and women. Plast Surg Nurs. 2020;40(1):6-19.

3. Wall D, Meah N, Fagan N, York K, Sinclair R. Advances in hair growth. Fac Rev. 2022;11:1.

4. Vastarella M, Cantelli M, Patrì A, Annunziata MC, Nappa P, Fabbrocini G. Efficacy and safety of oral minoxidil in female androgenetic alopecia. Dermatol Ther. 2020;33(6):e14234.

5. York K, Meah N, Bhoyrul B, Sinclair R. A review of the treatment of male pattern hair loss. Expert Opin Pharmacother. 2020;21(5):603-612.

6. Nestor MS, Ablon G, Gade A, Han H, Fischer DL. Treatment options for androgenetic alopecia: efficacy, side effects, compliance, financial considerations, and ethics. J Cosmet Dermatol. 2021;20(12):3759-3781.

7. Sand JP. Follicular unit transplantation. Facial Plast Surg Clin North Am. 2020;28(2):161- 167.

8. Gupta DS, Parab SB, Kaur G. Promising effects of emoxypine and its succinate derivative in the management of various diseases – with insights on recent patent applications. Curr Res Pharmacol Drug Discov. 2022;3:100121.

9. Burchinskyi SH. Comprehensive correction of anxiety and cognitive disorders in angioneurology: goals, objectives, tools. Int Neurol J. 2022;8(94):.

10. Baliuk OY, Vazhnichaya EM. In silico prediction of possible dermatological effects of a synthetic antioxidant. Actual problems of modern medicine: Bulletin of Ukrainian Medical Stomatological Academy. 2024;24(2):108-12.

11. Nakai K, Tsuruta D. What are reactive oxygen species, free radicals, and oxidative stress in skin diseases? Int J Mol Sci. 2021;22(19):10799.

12. Trüeb RM. Oxidative stress and its impact on skin, scalp and hair. Int J Cosmet Sci. 2021;43 Suppl 1:S9-S13.

13. Fiorillo L, Romano GL. Gels in medicine and surgery: current trends and future perspectives. Gels.2020;6(4):48.

The initial findings on EMHPS gel use are promising. It stimulates hair regrowth, exhibits antioxidant activity, and positively influences ECM components in a preclinical hair loss model. Further research is necessary to assess its efficacy in more specific experimental models of different alopecia types.

CONCLUSION

The 5% EMHPS gel, a synthetic antioxidant, promoted hair regrowth, exhibited antioxidant activity, and reduced damage to dermal ECM components caused by chemical depilation in an animal model. l

14. Orăsan MS, Coneac A. Evaluation of animal models suitable for hair research and regeneration. In: Experimental animal models of human diseases - an effective therapeutic strategy. InTech; 2018.

15. Orasan MS, Bolfa P, Coneac A, Muresan A, Mihu C. Topical products for human hair regeneration: a comparative study on an animal model. Ann Dermatol. 2016;28(1):65-73.

16. Rowley NL, Ramos-Rivera E, Raiciulescu S, Lee SH, Christy AC. Comparison of two hair removal methods in Sprague-Dawley rats (Rattus norvegicus). J Am Assoc Lab Anim Sci. 2021;60(2):213-220.

17. Parasuraman S, Raveendran R, Kesavan R. Blood sample collection in small laboratory animals. J Pharmacol Pharmacother. 2010;1(2):87-93.

18. Orasan MS, Roman II, Coneac A, Muresan A, Orasan RI. Hair loss and regeneration performed on animal models. Clujul Med. 2016;89(3):327-34.

19. Bancroft JD, Cook HC. Manual of histological techniques and their diagnostic applications. Edinburgh; New York: Churchill Livingstone, 1994. 457p.

20. Gérard-Monnier D, Erdelmeier I, Régnard K, Moze-Henry N, Yadan JC, Chaudière J. Reactions of 1-methyl-2-phenylindole with malondialdehyde and 4-hydroxyalkenals. Analytical applications to a colorimetric assay of lipid peroxidation. Chem Res Toxicol. 1998;11(10):1176-83.

21. Misra HP, Fridovich I. The role of superoxide anion in the autoxidation of epinephrine and a simple assay for superoxide dismutase. J Biol Chem. 1972;247(10):3170-5.

22. Koroliuk MA, Ivanova LI, Maĭorova IG, Tokarev VE. A method of determining catalase activity. Lab Delo. 1988;(1):16-9.

23. Tetianets SS. Method of determining free oxyproline in blood serum. Lab Delo. 1985;(1):61-2.

24. Sharaev PN, Pishkov VN, Solov'eva NI, Shirokova TIu, Solov'eva TV. Method of determining glycosaminoglycans in biological fluids. Lab Delo. 1987;(5):330-2.

25. Rossi A, Cantisani C, Melis L, Iorio A, Scali E, Calvieri S. Minoxidil use in dermatology, side effects and recent patents. Recent Pat Inflamm Allergy Drug Discov. 2012;6(2):130-6. Surg Cosmet Dermatol. 2025;v.17: n.1 jan-mar. p.48-57.

Baliuk O, Akimov O, Vazhnichaya O, Kostenko V, Starchenko I.

26. Reichert MN, Koewler NJ, Hargis AM, Felgenhauer JL, Impelluso LC. Effects of depilatory cream formulation and contact time on mouse skin. J Am Assoc Lab Anim Sci. 2023;62(2):153-62.

27. Karin M, Clevers H. Reparative inflammation takes charge of tissue regeneration. Nature. 2016;529(7586):307-15.

28. Cooke JP. Inflammation and its role in regeneration and repair. Circ Res. 2019;124(8):1166-8.

29. Tsai PF, Chou FP, Yu TS, Lee HJ, Chiu CT. Depilatory creams increase the number of hair follicles, and dermal fibroblasts expressing interleukin-6, tumor necrosis factor-α, and tumor necrosis factor-β in mouse skin. Korean J Physiol Pharmacol. 2021;25(6):497-506.

30. Haslam IS, Jadkauskaite L, Szabó IL, Staege S, Hesebeck-Brinckmann J, Jenkins G, et al. Oxidative damage control in a human (mini-) organ: Nrf2 activation protects against oxidative stress-induced hair growth inhibition. J Invest Dermatol. 2017;137(2):295-304.

31. Chung LY, Andrews AM, Schmidt RJ, Turner TD. Effects of minoxidil on cell proliferation and intracellular glutathione status of murine (L929) fibroblasts. In: Harding KG, Leaper DL, Turner TD (eds.). Proceedings of the 1st European Conference on Advances in Wound Management, Cardiff, 4-6 September 1991. Macmillan Magazines, 1992. P. 122–128.

32. Gupta AK, Talukder M, Venkatarama M, Bamimore MA. Minoxidil: a comprehensive review. J Dermatolog Treat. 2022;33(4):1896-906

33. Kruk J, Duchnik E. Oxidative stress and skin diseases: possible role of physical activity. Asian Pac J Cancer Prev. 2014;15(2):561-8.

34. Nikitovic D, Corsini E, Kouretas D, Tsatsakis A, Tzanakakis G. ROS-major mediators of extracellular matrix remodeling during tumor progression. Food Chem Toxicol. 2013;61:178-86.

35. Malgouries S, Thibaut S, Bernard BA. Proteoglycan expression patterns in human hair follicle. Br J Dermatol. 2008;158(2):234-42.

AUTHOR’S CONTRIBUTION:

Olena Baliuk 0000-0003-3260-6317

Statistical analysis; manuscript drafting and writing; data acquisition, analysis, and interpretation; active participation in research supervision; intellectual contribution to the propaedeutic and/or therapeutic management of studied cases; critical review of the manuscript.

Oleh Akimov 0000-0002-4958-3695

Statistical analysis; approval of the final version of the manuscript; intellectual contribution to the propaedeutic and/or therapeutic management of studied cases; critical review of the literature; critical review of the manuscript.

Elena Vazhnichaya 0000-0003-2515-7963

Approval of the final version of the manuscript; study design and planning; intellectual contribution to the propaedeutic and/or therapeutic management of studied cases; critical review of the literature; critical review of the manuscript.

Vitalii Kostenko 0000-0002-3965-1826

Author contributions: Statistical analysis; approval of the final version of the manuscript; active participation in research supervision; critical review of the literature; critical review of the manuscript.

Ivan Starchenko 0000-0002-6666-1448

Data acquisition, analysis, and interpretation; active participation in research supervision; intellectual contribution to the propaedeutic and/or therapeutic management of studied cases; critical review of the literature; critical review of the manuscript.

www.surgicalcosmetic.org.br/

Oral supplementation of the nutraceutical decarboxy carcinine HCl for rhytids and skin rejuvenation

Suplementação oral do nutracêutico decarboxicarnosina HCl para rítides e rejuvenescimento da pele

DOI: http://www.dx.doi.org/10.5935/scd1984-8773.2025170360

ABSTRACT

INTRODUCTION: Advanced glycation end products (AGEs) are stable compounds formed by nonenzymatic reactions between amino groups of biomacromolecules and carbonyl groups of reducing sugars. AGEs are known to play a role in various diseases such as diabetes, cardiovascular diseases, and neurodegenerative disorders, as well as contributing to premature skin aging. Decarboxy carcinine HCl, a stable analogue of carnosine, has demonstrated potential in reducing the effects of glycation.

OBJECTIVE: To evaluate the effects of oral supplementation with Glycoxil®, a patented decarboxy carcinine HCl molecule, on signs of skin aging in participants with mature skin.

METHODS: This randomized, double-blind, placebo-controlled study involved 30 participants aged 30-50 years, with skin phototypes I to IV and clinical signs of skin aging (e.g., rhytids). Participants were divided into two groups: one received Glycoxil® 300 mg daily for 90 days, while the other received a placebo. Standardized skincare products were provided, and participants underwent evaluations using Visia® and Focco® imaging systems at baseline (T0), 45 days (T45), and 90 days (T90). Statistical analysis was conducted using RStudio, with ANOVA and Wilcoxon tests. Significance was set at p<0.05.

RESULTS: Of the 30 participants, 18 were analyzed with Focco® and 22 with Visia®. Objective evaluations showed no statistical differences between groups in rhytid improvement at T0, T45, or T90. However, slight improvements were observed in the treatment group at T45 and T90. Blinded dermatologists noted improvements in hydration, firmness, and texture in both groups, with some participants in the treatment group reporting “improved” or “much improved” appearance. No adverse effects were reported.

CONCLUSIONS: Although no statistically significant differences were found between the groups, the findings suggest that Glycoxil® may contribute to minor improvements in skin-aging signs, corroborating existing literature on anti-glycation strategies. Further studies with larger sample sizes, extended follow-up periods, and advanced analytical methods are recommended to confirm these preliminary results.

Keywords: Glycation End Products, Advanced; Antiglycation Agents; Maillard Reaction.

RESUMO

INTRODUÇÃO: Os produtos finais de glicação avançada (AGEs) são compostos estáveis formados por reações não enzimáticas entre grupos amino de biomacromoléculas e grupos carbonila de açúcares redutores. Os AGEs são conhecidos por desempenharem um papel em várias doenças, como diabetes, doenças cardiovasculares e distúrbios neurodegenerativos, além de contribuírem para o envelhecimento precoce da pele. A decarboxicarnosina HCl, um análogo estável da carnosina, demonstrou potencial na redução dos efeitos da glicação.

OBJETIVO: Avaliar os efeitos da suplementação oral com Glycoxil®, uma molécula patenteada de decarboxicarnosina HCl, sobre os sinais de envelhecimento da pele em participantes com pele madura.

MÉTODOS: Este estudo randomizado, duplo-cego e controlado por placebo envolveu 30 participantes com idades entre 30 e 50 anos, com fototipos I a IV e sinais clínicos de envelhecimento cutâneo (por exemplo, rítides). Os participantes foram divididos em dois grupos: um recebeu 300 mg de Glycoxil® diariamente durante 90 dias, enquanto o outro recebeu placebo. Produtos de cuidados com a pele padronizados foram fornecidos, e os participantes passaram por avaliações utilizando os sistemas de imagem Visia® e Focco® nos momentos iniciais (T0), 45 dias (T45) e 90 dias (T90). A análise estatística foi realizada utilizando o RStudio, aplicando os testes de análise de variância (ANOVA) e Wilcoxon, com significância definida em p < 0,05.

RESULTADOS: Dos 30 participantes, 18 foram analisados com o Focco® e 22 com o Visia®. As avaliações objetivas não mostraram diferenças estatísticas entre os grupos na melhora das rítides em T0, T45 ou T90. No entanto, pequenas melhorias foram observadas no grupo Glycoxil® em T45 e T90. Dermatologistas cegados observaram melhorias na hidratação, firmeza e textura em ambos os grupos, com alguns participantes do grupo Glycoxil® relatando um resultado “bom” ou “muito bom”. Nenhum efeito adverso foi relatado.

CONCLUSÕES: Embora não tenham sido encontradas diferenças estatisticamente significativas entre os grupos, os achados sugerem que o Glycoxil® pode contribuir para pequenas melhorias nos sinais de envelhecimento da pele, em concordância com a literatura existente sobre estratégias antiglicação. Recomenda-se a realização de novos estudos com amostras maiores, períodos de acompanhamento mais longos e métodos analíticos avançados para confirmar esses resultados preliminares. Palavras-chave: Reação de Maillard; Agentes Antiglicação; Produtos Finais de Glicação Avançada.

Original Article

Authors:

Célia Kalil1

Luciane Zagonel2

Valéria Barreto Campos2

Christine Chaves Prato3

Clarissa Reinehr4

Patrícia França5

Pedro Vargas3

1 Dermatology Service of the Federal University of Froteira Sul, Passo Fundo (RS), Brazil

2 University of Jundiaí, Jundiaí (SP), Brazil

3 Farmatec Compound Pharmacy, Porto Alegre (RS), Brazil

4 Clinica's Hospital of Porto Alegre, Porto Alegre (RS), Brazil

5 Biotec São Paulo, São Paulo (SP), Brazil

Correspondence: Pedro Vargas E-mail: pedro@farmatecrs.com.br / pedro.vargas@acad.pucrs.br

Funding source: None. Conflicts of interest: None.

Submitted on: 03/19/2024

Accepted on: 08/14/2024

How to cite this article: Kalil CLPV, Zagonel L, Campos VB, Prato CC, Reinehr C, França P, et al. Oral supplementation of the nutraceutical decarboxy carcinine HCl for rhytids and skin rejuvenation. Surg Cosmet Dermatol. 2025;17:e20250360.

INTRODUCTION

Advanced glycation end products (AGEs) are a group of structurally different compounds derived from nonenzymatic reactions between reducing sugars and proteins, lipids, or nucleic acids, followed by further chemical modifications that result in stable, irreversible end products. These biochemical molecules can bind to several cell types as well as to receptors for AGEs (RAGEs), with several biological implications.1

Cooking methods such as roasting and broiling at high temperatures facilitate chemical reactions between primary and secondary amino groups of amino acids in proteins and the carbonyl groups of reducing sugars, leading to the formation of AGEs. This reaction is commonly referred to as the Maillard reaction.2 In the last decades, AGEs have garnered significant scientific interest due to mounting evidence of their involvement in several pathophysiological processes and diseases, such as cancer, diabetes, neurodegenerative diseases, cardiovascular events, and even SARS-CoV-2 infection.3-4

Several studies have shown that moderate levels of reactive oxygen species (ROS) are important for several physiological functions, as ROS plays an important role in many defense mechanisms. However, with increased consumption of processed foods in Western diet, AGE intake has dramatically increased, leading to the identification of glycosylated hemoglobin (HbC1) as the first glycation biomarker.5-6 AGE-related crosslinking of structural proteins such as collagen and elastin contributes to the stiffening of the extracellular matrix (ECM) and is frequently involved in organ and vascular dysfunction. These proteins, due to their long half-lives and direct exposure to high extracellular glucose levels, are particularly susceptible to glycation. Protein glycation products can trigger a complex, chronic inflammatory process that involves several cytokines, including NF-κB, interleukin 6, interleukin 2, and tumor necrosis factor. Over time, these repetitive signals can induce subtle but critical epigenetic changes, leading to significant skin-aging effects such as loss of firmness, pigmentation alterations, wrinkle formation, and increased skin stiffness.7-10

Carnosine (β-alanyl-L-histidine) is a naturally occurring dipeptide found in many organisms that has demonstrated potential in interfering with AGEs. Although its precise mechanism of action has not been fully elucidated, it is hypothesized that both the free amino group from β-alanine and the imidazole ring of histidine compete with protein amino groups in the presence of reactive dicarbonyl compounds.11-12 However, carnosine has low bioavailability due to its rapid hydrolysis by carnosinase, an enzyme with two isoforms found in plasma and kidneys. This limitation led to the search for a more stable and bioavailable compound.13-14 Carcinine, an important analog of carnosine, exhibits remarkable stability compared to other derivate molecules; the depletion of the carboxylic acid group at the β-position increases its stability and bioavailability while making its hydrolysis by carnosinase negligible.13-14

Considering the growing body of biological evidence on AGEs and their impact on general health and premature skin aging in Western populations, this study aimed to evaluate how volunteers with signs of mature skin responded to oral treatment with Glycoxil®, a patented decarboxy carcinine HCl molecule.

MATERIAL AND METHODS

This was a 90-day prospective, randomized, double-blind study conducted at two private, independent dermatology clinics. Thirty-two participants aged between 30 and 50 years, with skin phototypes I to IV, presenting clinical sings of skin aging (including rhytids) were selected from the cities of Porto Alegre and Jundiaí, state of Rio Grande do Sul, Brazil. Participants were instructed to use only the products provided by the investigators, including a facial moisturizer formulated by Farmatec (glycerol 5%, dimethicone 3%, Hyaxel 1%, DSH CN® 3% Q.S. Omega Gold Cream), colorless Anthelios Hydraox sunscreen (La Roche-Posay), and a neutral facial soap.

Participants were excluded if they met any of the following criteria: current or previous use of oral retinoids in the last 6 months; use of systemic corticosteroid therapy, immunosuppressants, or immunobiological agents; use of topical medications containing retinoids or hydroquinone; aesthetic procedures, including laser treatments, chemical peels, microneedling, botulinum toxin, or collagen biostimulators, in the last 6 months; facial plastic surgery in the last 12 months; presence of a skin disease that compromises skin structure (e.g., collagenosis); autoimmune diseases or active infections; pregnancy, lactation, or intent to become pregnant during the study period; not using effective contraception; presence of suspected neoplastic lesion on the face; hypersensitivity to any component of the formulation, capsules, or topical products used in the study; use of oral supplements for skin improvement in the last 6 months (e.g., collagen supplements, organic silica, or antioxidants).

The analysis methodology was adapted from Kalil et al.15 Participants were randomly allocated into two groups: one group received 300 mg of oral decarboxy carcinine HCl (Glycoxil®) daily for 90 days, while the other received a placebo (microcrystalline cellulose) as a negative control. Clinical assessments were performed using Visia® imaging equipment for participants in Jundiaí and Focco® imaging equipment for participants in Porto Alegre. Front and side photographs were taken at baseline, mid-treatment (45 days), and after treatment completion (90 days).

Evaluations consisted of subjective assessments by the participants using the Global Aesthetic Improvement Scale (GAIS) and the Wrinkle Severity Classification (WSRS), as well as objective efficacy assessments using the Visia® equipment and subjective photo evaluations by two dermatologists. Descriptive analysis was conducted for both qualitative and quantitative variables as well as to evaluate quantitative variables in relation to study outcomes.

The study was approved by the Research Ethics Committee under protocol number 53636521.5.1001.5412, dated August 8, 2022. All participants enrolled in the study provided written informed consent.

Objective image evaluation

Objective assessments were conducted using Visia® and Focco®, both of which require precise patient positioning throughout imaging acquisition to ensure adequate quality. Participants had to assume the same position for all follow-up images. The Visia® and Focco® imaging systems provide accurate evaluation of skin rhytids.

Clinical image evaluation

A blinded dermatologist reviewed the paired photos taken at baseline, day 45, and day 90 to conduct the clinical analysis. The evaluation focused on wrinkles, hydration, firmness, texture, and brightness. Based on these parameters, responses were classified into 5 groups: 1) very much improved, 2) much improved, 3) improved, 4) no change, and 5) worse.

Self-reported assessment of improvement

Self-reported assessments were informed by two measures: overall improvement – yes or no; and the GAIS scale: 1) very much improved, 2) much improved, 3) improved, 4) no change, and 5) worse. Patients also assessed treatment tolerability based on the following criteria: 1) gastrointestinal symptoms, 2) skin rash, 3) skin allergy, and 4) UV exposure-induced redness.

Statistical analyses

Data analysis was performed using RStudio software (Posit, Boston, USA). Parametric analysis was conducted using analysis of variance (ANOVA), while nonparametric analysis was conducted using the Wilcoxon test. For the Wilcoxon test, a multiple comparisons post-hoc test was applied to determine the specific differences. For ANOVA with repeated measures, the paired t-test adjusted by the Bonferroni method was used. Statistical significance was set at p < 0.05%, while a trend towards significance was considered for #p < 0.07%.

RESULTS

The study included 30 participants, of whom 18 were analyzed with Focco® equipment (9 per group) and 22 with Visia® equipment (11 per group) No patient was undergoing isotretinoin treatment or had undergone any recent dermatological procedures.

Objective image evaluation

Objective assessments of rhytids using the Focco® softwa-re in both groups are presented in figure 1 The analysis showed no statistically significant difference between groups at baseline, day 45, and day 90. Similar results were found using the Visia® software,as shown in figure 2

Because Focco® andVisia® are distinct software systems with different methodologies, direct comparisons between their results were not feasible.

Boxplot analyses of rhytides by Focco Software. No statistical diffence between the two groups. p> 0.05 Surg Cosmet Dermatol. 2025;v.17: n.1 jan-mar. p.58-65.

Figure 1: Objective analysis of rhytids using Focco® software

Boxplot analysis of rhytids using Visia® software. No statistical difference was observed between the two groups (p > 0.05)

Additionally, dermatologists performed a blind evaluation of images to assess hydration, firmness, texture, and brightness in both groups (placebo vs. decarboxy carcinine HCl). The-se findings are presented in table 1 (Focco®) and table 2 (Visia®). figure 3 presents a sample of participants who completed the study, showing improvement in rhytid appearance.

DISCUSSION

AGEs are a group of stable compounds formed through nonenzymatic reactions between the amino groups of biomacromolecules and the free carbonyl groups of glucose or other reducing sugars, commonly produced in thermally processed foods.16 AGEs have been implicated in the pathogenesis of se-veral diseases, including atherosclerosis, diabetes, chronic kidney disease, and neurodegenerative disorders, through its binding to RAGEs in the human body.17-18

There is evidence that AGEs may also affect the different structures and physiological functions of the skin.19 During the aging process, excessive intake of AGEs or highly processed foods that increase internal synthesis of AGEs can trigger a sub-clinical inflammatory state, leading to premature skin aging.20 Structural proteins such as collagen and elastin are particularly susceptible to glycation, leading to loss of function, as the Mail-lard reaction induces collagen crosslinking, compromising its mechanical properties.21 The skin-aging process is complex, being influenced by genetic and individual factors as well as external factors such as smoking, pollution, UV exposure, diet, and exercise.22 The hea-

ling process is also compromised in aged skin, affecting recovery from spontaneous injuries or surgical procedures.22 As ages progresses, the body accumulates a large amount of free radicals and other substances that promote premature skin aging, leading to pronounced wrinkles, loss of firmness, roughness, and dark spots.23 The decline in the production of structural proteins such as collagen, elastin, and ECM components contributes to the development of rhytids and others skin-aging signs.24

According to scientific literature and studies conducted by Exsymol (Monaco), the developer of decarboxy carcinine HCl, this nutraceutical has been shown to reduce collagen glycation induced by malondialdehyde, inhibit lipid peroxidation, and protect DNA from UV-B radiation damage (Exsymol, Monaco). Decarboxy carcinine HCl is a patented molecule, an analog of carnosine.13-14 In a recent double-blind, placebo-controlled study with 38 overweight volunteers supplemented with 200 mg/day of decarboxy carcinine HCl, the authors reported a significant reduction in key biomarkers, including HbA1c, fructosamine, total cholesterol, and insulin levels.25

The present study is the first to investigate the potential benefits of a 90-day treatment with Glycoxil® (decarboxy carcinine HCl). In the Focco® equipment analysis, the control group (treated with decarboxy carcinine HCl) showed a mild improvement between the baseline and day 90. Similarly, the Visia® group presented a slight but significant improvement at day 45, although this improvement did not persist, potentially due to intrinsic factors, a short follow-up period, and technical limitations.

Figure 2: Objective Rhytids Analysis by Visia Software

Image

Right side

Item

Brightness

Texture

Firmness

Hydratation

Overall appearance

Table 1: Summary of Focco® analysis results

Objective Analysis – Amount of Wrinkles

Comparison of groups (placebo vs control) (Paired t-test)

T0 – ns (p=0.41) T45 – ns (p=0.06) T90 – ns (p=0.18)

Control (Glycoxil®) (Two-way ANOVA and Tukey)

Placebo (Two-way ANOVA)

ANOVA: T0/T45/T90 – s (p=0.03*) Tukey: T90/T45 – ns (p=0.95) T0/T45 – s (p=0.03*) T0/T90 – s (p=0.06#) T0/T45/T90 – ns (p=0.28)

Subjective Analysis

Control (Glycoxil®) Placebo

Majority reported “no change” (37.5%) and “much improved” (37.5%)

Majority reported “no change” (37.5%) and “ improved” (37.5%)

Half reported “no change” (50%) and “improved” (50%)

Majority reported “no change” (37.5%) and “ improved” (37.5%)

Half reported “improved” (50%) and “no change” (50%)

# = statistical trend (p < 0.07); ns = not significant; * = statistically significant (p < 0.05).

Image

Front

Right side

Left side

Item

Brightness

Placebo vs control (Wilcoxon test)

Majority reported “improved” (71.43%) ns (p=1)

Majority reported “much improved” (57.14%) ns (p=0.38)

Majority reported “much improved” (57.14%) ns (p=0.32)

Majority reported “much improved” (71.43%) ns (p=0.75)

Majority reported “improved” (71.43%) ns (p=0.45)

Table 2: Summary of Visia® analysis results

Objective Analysis – Amount of Wrinkles

Comparison of groups (placebo vs control) (Wilcoxon or paired t-test)

Control (decarboxy carcinine HCl) (Nonparametric Friedman)

Placebo (Nonparametric Friedman)

T0 – ns (p=0.44) T45 – ns (p=0.10) t test paired T90 – ns (p=0.25) Wilcoxon T0/45/90 – ns (p=1.0) T0/45/90 – ns (p=0.24)

Paired t-test Two-way ANOVA Two-way ANOVA

T0 – ns (p=0.09)

T45 – s (p=0.003*) T90 – ns (p=0.11)

T0/45/90 – ns (p=0.77)

T0/45/90 – ns (p=0.43)

Paired t-test Two-way ANOVA Two-way ANOVA

T0 – ns (p=0.33) T45 – (p=0.09#) T90 – ns (p=0.78)

(decarboxy carcinine HCl)

Majority reported “no change” (44.44%) or “improved” (44.44%)

Texture Majority reported “no change” (44.44%) or “improved” (44.44%)

Firmness Majority reported “no change” (55.56%)

T0/45/90 – ns (p=0.47)

Subjective Analysis

T0/45/90 – ns (p=0.83)

vs

(Wilcoxon test)

Equal distribution between “no change” (33.33%), “improved” (33.33%), and “much improved” (33.33%) ns (p=0.93)

Equal distribution between “no change” (33.33%), “improved” (33.33%), and “much improved” (33.33%) ns (p=0.93)

Equal distribution between “no change” (33.33%), “improved” (33.33%), and “much improved” (33.33%) ns (p=0.52)

Hydration Majority reported “no result” (55.56%) Most reported “no change” (44.44%) ns (p=0.66)

Overall appearance Majority reported “no result” (55.56%) Most reported “no change” (55.56%) ns (p=1)

# = statistical trend (p < 0.07); ns = not significant; * = statistically significant (p < 0.05).

Placebo

A B C D

A/B - Subject representing a sample of the decarboxy carcinine HCl group T0 and T45, respectively. C/D - Subject representing the placebo group T0 and T45, respectively

Our results indicate that rhytids improved in both Focco® and Visia® evaluations, supporting the clinical relevance of the data. These findings are also consistent with previous studies using Visia® and Focco® imaging systems. However, further research with larger and more representative populations is necessary to confirm the efficacy of this treatment.

All patients tolerated the treatment well, reported no adverse effects, and expressed willingness to use the product again. Research involving beauty products and procedures is always evolving, with the introduction of new tools and technologies to elucidate mechanisms of action and molecular markers involved

in the aging process. Despite this progress, supplements targeting skin aging remain relatively new, with only a few available on the market that have robust scientific backing, such as collagen peptides.26 Although our study did not find statistical significance between the groups, the detrimental effects of glycation on the skin are well-documented in the literature.27-31 Our study has some limitations, including a short follow-up time, small size sample, and the absence of histopathological analyses or advanced analytical techniques. Therefore, the authors acknowledge the need for future studies with larger sample sizes, longer follow-up periods, and more comprehensive evaluations. l

REFERENCES:

1. Prasad C, Davis KE, Imrhan V, Juma S, Vijayagopal P. Advanced glycation end products and risks for chronic diseases: intervening through lifestyle modification. Am J Life Med. 2019;13(4):384-404.

2. Stitt AW. The maillard reaction in eye diseases. Ann NY Acad Sci. 2005;1043(1):582-97.

3. Ott C, Jacobs K, Houcke E, Santos AN, Grune T, Simm A. Role of advanced glycation end products in cellular signaling. Redox Biol.2014;2:411 -29.

4. Twarda-Clapa A, Olczak A, Białkowska AM, Koziołkiewicz M. Advanced glycation end-products (AGEs): formation, chemistry, classification, receptors, and diseases related to AGEs. Cells. 2022;11(8):1312.

5. Ott C, Jacobs K, Haucke E, Santos AN, Grune T, Simm A. Role of advanced glycation end products in cellular signaling. Redox biology. 2019;2:411-29.

6. Sellegounder D, Zafari P, Rajabinejad M, Taghadosi M, Kapahi P. Advanced glycation end products (AGEs) and its receptor, RAGE, modulate agedependent COVID-19 morbidity and mortality. A review and hypothesis. Int Immunopharm.2021;98:107806.

7. Dupré‐Crochet, S., Erard, M., & Nüβe, O. ROS production in phagocytes: why, when, and where? J Leuko Biol.2013;94(4):657-70

8. Lee EJ, Kim JY, Oh SH. Advanced glycation end products (AGEs) promote melanogenesis through receptor for AGEs. Sci Report.2016;6(1):1-11.

9. Lohwasser C, Neureiter D, Weigle B, Kirchner T, Schuppan D. The receptor for advanced glycation end products is highly expressed in the skin and upregulated by advanced glycation end products and tumor necrosis factor- alpha. J Invest Dermatol. 2006;126(2):291-99

10. Davis KE, Prasad C, Vijayagopal P, Juma S, Imrhan V. Advanced glycation end products, inflammation, and chronic metabolic diseases: links in a chain? Crit Rev Food Sci Nutri. 2016;56(6):989-98.

11. Pepper ED, Farrell MJ, Nord G, Finkel SE. Antiglycation effects of carnosine and other compounds on the long-term survival of escherichia coli. Appl Enviro Microbiol.2010;76(24):7925-30.

12. Bingül İ, Yılmaz Z, Aydın AF, Çoban J, Doğru‐Abbasoğlu S, Uysal M. Antiglycation and anti‐oxidant efficiency of carnosine in the plasma and liver of aged rats. Geriat Gerontol Int.2017;17(12):2610-4.

13. Boldyrev AA, Gallant SC, Sukhich GT. Carnosine, the protective, anti-aging peptide. Biosci Report. 1999;19:581-7.

14. Boldyrev AA. Problems and perspectives in studying the biological role of carnosine. Biochem (Mosc). 2000;65(7):751-6.

15. Kalil CLPV, Campos V, Cignachi S, Favaro J, Reinehr CPH, Chaves C. Evaluation of cutaneous rejuvenation associated with the use of ortho‐silicic acid stabilized by hydrolyzed marine collagen. J Cosmet Dermatol.2018;17(5):814-20.

16. Sergi D, Boulestin H, Campbell FM, Williams LM. The role of dietary advanced glycation end products in metabolic dysfunction. Mol Nutri Food Res. 2021;65(1):1900934.

17. Ahmad S, Khan H, Siddiqui Z, Khan MY, Rehman S, Shahab U, et al. AGEs, RAGEs and s-RAGE: friend or foe for cancer. Semin Cancer Biol. 2018;49:44-55.

Figure 3: Photos samples of subjects

18. Ashraf MAB, Rasool R, Zahid A, Waquar S, Muhammad A, Zaheer A, et al. Implications of advanced oxidation protein products (AOPPs), advanced glycation end products (AGEs) and other biomarkers in the development of cardiovascular diseases. Saudi J Biol Sci. 2019;26(2):334-39.

19. Atzeni IM, Boersema J, Pas HH, Diercks GF, Scheijen JL, Schalkwijk CG, et al. Is skin autofluorescence (SAF) representative of dermal advanced glycation endproducts (AGEs) in dark skin? A pilot study. Heliyon. 2020;6(11):e05364

20. Poulsen MW, Hedegaard RV, Andersen JM, Courten B, Bügel S, Nielsen J, et al. Advanced glycation endproducts in food and their effects on health. Food Chem Toxicol. 2013;60:10-37.

21. Danby FW. Nutrition and aging skin: sugar and glycation. Clin Dermatol. 2010;28(4):409-11.

22. Gautieri A, Passini FS, Silván U, Guizar-Sicairos M, Carimati G, Volpi P, et al. Advanced glycation end- products: Mechanics of aged collagen from molecule to tissue. Matrix Biol. 2017;59:95108.

23. Farage MA, Miller KW, Elsner P, Maibach HI. Characteristics of the aging skin. Adv Wound Care. 2013;2(1):5-10.

24. Reiter RJ, Tan DX, Rosales-Corral S, Galano A, Zhou XJ, Xu B. Mitochondria: central organelles for melatonin′s antioxidant and anti-aging actions. Molecules. 2018;23(2):509.

25. Herreros FOC, Cintra ML, Adam RL, Moraes AM, Metze K. Remodeling of the human dermis after application of salicylate silanol. Arch Dermatol Res. 2007;299(1):41-45.

26. Wolpe L, Granzoti R. A suplementação de carcinina e sua implicação na glicemia de jejum, hemoglobina glicada, insulina, frutosamina e perfil lipídico em mulheres com sobrepeso e obesidade: um ensaio clínico randomizado duplo-cego controlado por placebo. Brazil J Develop. 2020;6(10):78877-89.

27. Zhao X, Zhang X, Liu D. Collagen peptides and the related synthetic peptides: a review on improving skin health. J Function Foods. 2012;86:104680.

28. Gkogkolou P, Böhm M. Advanced glycation end products: key players in skin aging? Dermato-endocrinol. 2012;4(3):259-70.

29. Peppa M, Vlassara H. Advanced glycation end products and diabetic complications: a general overview. Hormones. 2005;4(1):28-37.

30. Jakuš V, Rietbrock N. Advanced glycation end-products and the progress of diabetic vascular complications. Physiol Res. 2004;53(2);13142.

31. Handa JT, Verzijl N, Matsunaga H, Aotaki-Keen A, Lutty GA, Te Koppele JM, et al. Increase in the advanced glycation end product pentosidine in Bruch's membrane with age. Invest Ophthalmol Vis Sci. 1999;40(3):775-79.

32. Lohwasser C, Neureiter D, Weigle B, Kirchner T, Schuppan D. The receptor for advanced glycation end products is highly expressed in the skin and upregulated by advanced glycation end products and tumor necrosis factor-alpha. J Invest Dermatol. 2006;126(2):291-99.

AUTHOR’S CONTRIBUTION:

Célia Kalil 0000-0002-1294-547X

Approval of the final version of the manuscript, Effective participation in research guidance, Intellectual participation in propaedeutic and/or therapeutic conduct of studied cases

Luciane Zagonel 0000-0002-7687-6557

Approval of the final version of the manuscript, Study design and planning, Collecting, analyzing, and interpreting data, Effective participation in research guidance, Critical review of the literature, Critical review of the manuscript

Valéria Barreto Campos 0000-0002-3350-8586

Approval of the final version of the manuscript, Study design and planning, Collecting, analyzing, and interpreting data, Effective participation in research guidance, Critical review of the manuscript

Christine Chaves Prato 0000-0001-8861-6499

Approval of the final version of the manuscript, Effective participation in research guidance, Critical review of the literature, Critical review of the manuscript

Clarissa Reinehr 0000-0003-1811-4519

Approval of the final version of the manuscript, Study design and planning, Collecting, analyzing, and interpreting data, Effective participation in research guidance, Critical review of the manuscript

Patrícia França 0000-0002-2047-4161

Approval of the final version of the manuscript, Intellectual participation in propaedeutic and/or therapeutic conduct of studied cases, Critical review of the manuscript

Pedro Vargas 0009-0004-5404-8832

Statistical analysis, Approval of the final version of the manuscript, Preparation and writing of the manuscript, Critical review of the literature, Critical review of the manuscript

www.surgicalcosmetic.org.br/

Treatment

of Parry-Romberg syndrome and linear scleroderma en coup de sabre, with application of poly-L-lactic

acid (PLLA): assessment of clinical and high-resolution ultrasound response

Tratamento da síndrome de Parry-Romberg e da esclerodermia linear em golpe de sabre, com aplicação do ácido poli-L-láctico (PLLA): avaliação da resposta clínica e ultrassonográfica

DOI: http://www.dx.doi.org/10.5935/scd1984-8773.2025170361

ABSTRACT

INTRODUCTION: Parry-Romberg syndrome and linear scleroderma en coup de sabre are disorders within the scleroderma spectrum, a disease that presents therapeutic challenges.

OBJECTIVES: We treated three patients with this condition using poly-L-lactic acid (PLLA) with the aim of alleviating facial asymmetries and evaluated the real improvement of scleroderma lesions with high-resolution ultrasound.

METHODS: The patients underwent two to four sessions of biostimulation with PLLA over a 12-month period.

RESULTS: The results were promising, demonstrating favorable cosmetic outcomes with increased thickness of the dermis and hypodermis as evidenced by high-resolution ultrasound.

CONCLUSIONS: Biostimulation with PLLA is a safe and effective treatment option for these patients when administered by trained professionals.

Keywords: Facial Hemiatrophy; Scleroderma, Localized; Dermal Fillers; Ultrasonography.

RESUMO

INTRODUÇÃO: A síndrome de Parry-Romberg (PRS) e a esclerodermia linear em golpe de sabre (LSCS) são espectros da esclerodermia, uma doença de difícil manejo terapêutico.

OBJETIVOS:Tratamos três pacientes apresentando essa condição, utilizando o ácido poli-L-lático (PLLA) com objetivo de amenizar assimetrias e avaliar a real melhora das lesões esclerodérmicas, com acompanhamento ultrassonográfico de alta resolução (USAR).

MÉTODOS: As pacientes foram submetidas a duas a quatro sessões de bioestimulação com PLLA em um período compreendido dentro de 12 meses.

RESULTADOS: Os resultados se demonstraram promissores, com resultados cosméticos favoráveis e aumento da espessura da derme e hipoderme comprovados pela avaliação com USAR.

CONCLUSÕES: A bioestimulação com PLLA é um método seguro e eficaz, que pode ser realizada com segurança nesses pacientes, desde que realizada por profissionais treinados adequadamente.

Palavras-chave: Hemiatrofia Facial; Esclerodermia Localizada; Preenchedores Dérmicos; Ultrassonografia.

Original Article

Authors:

Renato Roberto Liberato Rostey1 Cristiane Ferreira Rallo de Almeida1 Danilo Olavarria D’Aquino2 Caio Leal Carvalho1

1 Hospital Universitário Julio Muller, Dermatology, Cuiabá (MT), Brazil

2 Ultralab, Ultrasound, Cuiabá (MT), Brazil

Correspondence:

Renato Roberto Liberato Rostey E-mail: rrostey@yahoo.com.br

Financial support: None. Conflicts of interest: None. Submission on: 03/29/2024. Approved on: 08/15/2024.

How to cite this article: Rostey RRL, Almeida CFR, D’Aquino DO, Carvalho CL. Treatment of Parry-Romberg syndrome and linear scleroderma en coup de sabre, with application of poly-L-lactic acid (PLLA): assessment of clinical and high-resolution ultrasound response. Surg Cosmet Dermatol. 2025;17:e20250361.

INTRODUCTION

Parry-Romberg syndrome (PRS) is a rare craniofacial disorder characterized by hemifacial atrophy of the skin, subcutaneous tissue, fat and, in severe cases, underlying muscles, bones, and cartilage.1,2 It is considered a specific form of cutaneous scleroderma.3 Usually onset is observed in the first 20 years of life, although cases of late onset have been described.1 Symptoms progress over 2 to 10 years, a self-limiting period before spontaneous stabilization.4-6 Systemic manifestations of the disease, including dermatological, bone, muscle, ophthalmological, neurological, cardiac, endocrinological, maxillofacial, orthodontic, and oral manifestations can occur.2,7 Histopathology shows atrophy of the subcutaneous fat, reduction of adnexal structures, and mononuclear cell infiltrate.2,8

Linear scleroderma en coup de sabre (LSCS) is a presentation of localized scleroderma, so called because it causes a lesion similar to a saber blow that affects the head.9 It is characterized by a linear cutaneous sclerotic lesion, may be hyperpigmented, and is also accompanied by cranial atrophy, neurological alterations, and seizures.9 Histopathology shows sclerosis of the skin and underlying tissues due to excess collagen deposition, adnexal atrophy, mononuclear cell infiltrate, and perineural inflammation.8

Both PRS and LSCS are more common in women and usually occur before they are 15 years old. Many common characteristics are observed in both diseases, with some authors considering them spectra of scleroderma and others considering them to be the same disease.8 The main differences between the two are no scarring alopecia and sclerosis of the skin in PRS,2 and sclerosis of the skin and scalp with hyperpigmentation and alopecia of the scalp and eyebrows in LSCS.2 Patients can present distinct characteristics of one or the other disease, or even both.10

Treatments to improve the appearance of the atrophy caused by these diseases are commonly attempted, the most common being autologous fat transplantation and fat flap grafts.11 Whenever possible, aesthetic treatment of autoimmune diseases should be attempted, as these are diseases that have a significant impact on patients’ psychological state and quality of life.12 Treatments with autologous fat grafting, autologous fat transplantation, hyaluronic acid, poly-L-lactic acid (PLLA), calcium hydroxyapatite, polymethylmethacrylate, lasers, and bone and cartilage grafts have been described.12

The use of PLLA for the treatment of LSCS and PRS was described in 2009.13 Recently, a case of PRS treatment with hyaluronic acid and PLLA has been described.14 A case series demonstrated the use of PLLA in a patient with systemic scleroderma, in one with CREST syndrome, and in another with lupus panniculitis.15 Biostimulation is the ability of a polymer to generate cellular benefit or tissue response in a particular clinical application, by means of a desired controlled inflammatory response, which leads to the slow degradation of the material and culminates in the deposition of collagen in the tissue, conditioned by the properties of the biomaterial, the

characteristics of the patient, and the technique used to inject the polymer into the tissue.16

PLLA is a resorbable, biodegradable, biocompatible substance that stimulates the formation of new collagen fibers, which has proven to be safe and has the ability to restore volumetric defects. There are reports in the literature of patients who have been treated with biostimulants and hyaluronic acid fillers with a satisfactory response. Soft tissue augmentation with injectable fillers is a minimally invasive technique that replaces lost facial volume.17 High-resolution ultrasound (HRUS) is already used in dermatology to assess dermal fillers,18 evaluate results19 and complications.20 It is also used for clinical and diagnosis assessment of localized cutaneous scleroderma21 and PRS.22

This study aimed to evaluate and prove that the application of PLLA can improve the clinical aspect and volumetric loss, correct asymmetries, improve the general quality of the affected skin and the aesthetic aspect of skin lesions in patients affected by PRS and LSCS. HRUS measured the thickness of the dermis/ hypodermis before and after the procedure, and provided an objective assessment of the response.

METHODS

This is a clinical trial with a convenience sample of patients from the dermatology outpatient clinic located in Outpatient Clinic III of the Hospital Universitário Júlio Muller, Brazil. This study was submitted to the Research Ethics Committee of and approved under protocol number CAAE 57003722.0.0000.554 on July 28, 2022.

Eligible participants were all adult patients who routinely came to the dermatology outpatient clinic with a diagnosis of localized cutaneous scleroderma, including PRS/LSCS, and who had a stabilized condition.The study included three patients aged 18 years or over who met the criteria for PRS/LSCS confirmed by clinical examination, who did not meet any exclusion criteria and who agreed to participate in the study voluntarily, without any burden on their treatment or gratuities. Exclusion criteria: active disease; infection in the treated area; a history of procedures with fillers; clinical conditions that prevented the technique from being performed (full immunosuppression, blood dyscrasias); and the patient not agreeing to be treated with this therapeutic option.

The patients underwent a clinical examination, a photographic record, a previous HRUS examination of the area to be treated and also of an adjacent area not affected by the disease. All patients provided written informed consent. The thickness of the affected skin obtained by HRUS was compared with the thickness of healthy skin adjacent to the affected area. The product was prepared immediately before the procedures. Each vial of PLLA (Sculptra®) was diluted in 1:8 mL of distilled water, reconstituted by shaking vigorously for 1 minute, aspirated into 5 mL syringes with a further 1 mL of lidocaine without

Surg Cosmet Dermatol. 2025;v.17: n.1 jan-mar. p.66-75.

vasoconstrictor in each syringe. The procedure was performed using a small anesthetic button with 0.3 mL of lidocaine with vasoconstrictor, through which the product was inserted and applied using a 22 x 70 mm cannula, in the subdermal plane as close to the skin as possible (Figure 01).

Prior to the following sessions, new photographic and HRUS recordings were made, which were repeated after the last session. The intervals between sessions and HRUS are shown in the respective tables for each patient. This study measured the dermis and hypodermis of the regions without disease and those affected both before and after the injection of PLLA, using a high-resolution dermatological linear transducer of up to 22 MHz (GE Logic and Pro - GE Medical System). The patients received different doses of PLLA, depending on their individual response and the need to correct the asymmetry. The sessions ranged from two to four vials, and intervals lasting 8 to 24 weeks.

RESULTS

The 26-year-old patient, ABF, was the patient with the smallest affected area, and also the one with the shortest disease progression time (3 years) at the beginning of treatment. She had only undergone topical treatments due to the condition, having used tacrolimus and calcipotriol. She had an atrophic area on her left forehead, madarosis of the tail of the eyebrow and homolateral

cilia, and slightly hardened skin. This was compatible with LSCS. She also had congenital bilateral eyelid ptosis, resulting in an improvement in the homolateral eye opening as a result of the retraction caused by the disease, which can be clearly seen in the initial photo (Figure 02).

About 1 month after the first application, skin thickness increased by approximately 30% compared to baseline thickness. Finally, 5 months after the second application, skin thickness increased by approximately 61% compared to baseline thickness (Figure 03 and Table 01).

The 27-year-old patient, DFM, presented with alopecia in the left frontoparietal region at the age of 10, followed by the appearance of an atrophic and hardened plaque on the forehead at the beginning of treatment. Initially, she was treated with topical hydrocortisone for around 5 years. The clinical picture is characteristic of LSCS (Figure 04).

In the left frontal region, about 3 months after the first application, skin thickness increased by approximately 47% compared to baseline thickness. And 7 months after the first application, skin thickness increased by approximately 63% compared to baseline thickness. Then, 11 months after the first application, skin thickness had increased by around 84% compared to baseline thickness (Figure 05 and Table 02).

HRUS found no increase in skin thickness in the scalp area. However, an increase in skin firmness and distension was

Figure 1: Detail of subdermal positioning of the cannula in patients DFM and DCL

A BFigure 3: A - HRUS image showing reduced thickness of the left frontal dermis/hypodermis in the affected area.

B - Left frontal region affected and volumized with subdermal PLLA, with thickening of dermal fibers

HRUS data: Thickness of affected region: Thickness of unaffected region:

09/16/2022 1st application

2nd application

HRUS: High-resolution ultrasound.

observed, promoting a noticeable visual improvement, both by the examiners and the patient (Table 03).

The 28-year-old patient, DCL, had the largest area of involvement at the start of treatment, with a lesion on practically the entire left hemiface. No hardening of the skin was present, which is typical of PRS. She was the only patient who had already been treated systemically for the disease, with corticosteroid therapy in addition to topical tacrolimus. Magnetic resonance imaging showed no bone or brain involvement. As this was the

largest area affected, in each session 1 vial of PLLA was divided unevenly between the two main areas (Figure 06).

In the left frontal region, a 23% thickness improvement in relation to baseline thickness was seen about 1 month after the first application. We attribute this change to the variation in the measurement site, as clinically it has improved. Following the second application, 7 months after the first, there was an increase of approximately 5% in skin thickness compared to baseline thickness. And 11 months after the first, skin thickness

Figure 2: Progression over time – patient ABF
Table 1: HRUS of patient ABF

Aincreased by around 18% compared to baseline thickness. Following the fourth application, 13 months after the first application, this 18% increase was maintained (Figure 07, 08 and Table 04).

Nearly 1 month after the first application, in the region of the left nasolabial fold, skin thickness increased by around 6% compared to baseline thickness. The second application, 7 months after the first, showed an increase of approximately 16% in skin thickness compared to baseline thickness. Eleven months after the first application, skin thickness increased by around 24% compared to the initial application. Following the fourth application, 13 months after the first, this 24% increase was maintained (Figure 09, 10 and Table 05).

DISCUSSION

Various techniques have been described for treating the atrophies caused by PRS and LSCS and other forms of scleroderma. In this clinical trial, the use of PLLA was chosen for its ability to restore lost volume and stimulate gradual collagen deposition, with the aim of alleviating facial asymmetry.12-15 Although PLLA offers advantages, there are challenges associated with its use in PRS and LSCS.13,14 The main challenge is the time needed to obtain visible results, since collagen production is a gradual process. In addition, the variability in response to treatment can be a limiting factor, with some patients not achieving the desired result. We would also point out that the patients in the study were young, and therefore had preserved

Figure 4: Progression over time – patient DFM
Figure 5: A - HRUS image showing the unaffected frontal region. B - Central frontal region affected and volumized with subdermal PLLA, with thickening of dermal fibers

Table 02: HRUS of the left frontal region of patient DFM

HRUS data: Thickness of affected region:

09/09/2022 1st application

2nd application

3rd application

HRUS: High-resolution ultrasound.

Table 03: HRUS of the scalp of patient DFM

HRUS data: Thickness of affected region:

09/09/2022 1st application

03/10/2023 2nd application

of unaffected region:

HRUS: High-resolution ultrasound

Figure 6: Delineation of the treated area –patient DCL

Figure 7: Progression over time in frontal view – patient DCL
Figure 8 A: HRUS image showing reduction of the dermis/hypodermis in the frontal region, compared with the unaffected region. B - Affected frontal region, volumized with subdermal PLLA, with thickening of dermal fibers

09/09/2022 1st application

2nd application

05/12/2023 3rd application

08/10/2023

08/11/2023 4th application

HRUS: High-resolution ultrasound.

Table 04: HRUS of the left frontal region of patient DCL
Figure 9: Progression over time in oblique view – patient DCL

AB

HRUS: High-resolution ultrasound.

ability of the resident cells of the extracellular matrix to synthesize collagen and respond better to treatment with biostimulators. The use of Sculptra® is generally well tolerated, with rare and usually mild adverse effects. The most common side effects include edema, bruising, and tenderness in the treated area. More serious complications, such as infections or granulomas, are rare, but should be closely monitored.13,17

HRUS allows us to add a lot of information in dermatology and injectables, helping with increasingly accurate diagnoses and more assertive surgical and injectable planning. In the case of cutaneous scleroderma, HRUS can provide the attending physician with information on the activity or absence of activity of the disease by assessing the hyperechogenic halo around the vessels in the skin. It also allows for a good separation of the layers of the skin and, in this case in particular, allows for the visualization and measurement of the loss of volume and which layer of the skin has been affected, as well as allowing for the visualization of PLLA, the injected skin plane, and its

biostimulus, which is validated by repeated measurement and thickening of the layers of the skin in the affected regions.23-25

Thickness analyses with HRUS can vary according to the experience of the operator, the method being operatordependent, as well as the sites measured. As no specific marking was made on the skin, as would be the case with a tattoo, there were slight changes in the sites measured at each assessment. This justifies small variations in the thicknesses measured during the evolution of the assessments, though it did not compromise the assessment, as the gain in thickness could be proven by analyzing all the tests performed. The evolution of ultrasound transducers with increasingly higher frequencies has allowed for a more detailed study of the skin and appendages. HRUS has become an important tool for dermatologists and injectors, helping to visualize structures dynamically and in real time. The various types of cosmetic fillers, autologous materials (autologous fat), and biostimulators can be identified and differentiated using dermatological HRUS and a professional ultrasound surgeon trained in the field.18,19,26

Table 05: HRUS of the left nasolabial fold of patient DCL
Figure 10 A: HRUS image showing reduction of the dermis/hypodermis in the nasolabial fold in the affected area and preserved thickness in the unaffected area. B - Affected area volumized with subdermal PLLA, with thickening of dermal fibers

CONCLUSION

In the series of photographs, volumization of the treated area can be seen, which is corroborated by the final gain in skin thickness obtained by HRUS measurements. Both the dermis and the hypodermis showed increased thickness; however, the hypodermis showed a greater gain in thickness compared to the dermis, which can be explained by the collagen cross-linking mechanism that occurs over the months, which causes it to contract and adjust its network. The presence of fibroblasts in the hypodermis also enables the mechanisms of neocollagenesis in this area with the gradual deposition of collagen fibers.

REFERENCES:

1. Schultz KP, Dong, E, Truong TA, Maricevich RS. Parry romberg syndrome. Clin Plast Surg. 2019;46(2):231-237.

2. Shah SS, Chhabra M. Parry-romberg syndrome [Internet]. Treasure Island (FL): StatPearls Publishing; 2022. Available from: https://www.ncbi.nlm.nih.gov/books/ NBK574506/

3. De la Torre IG, Castello-Sendra J, Esgleyes- Ribot T, Martinez-Bonilla G, Guerrerosantos J, Fritzler MJ. Autoantibodies in parry romberg syndrome: a serologic study of 14 patients. J Rheumatol. 1995;22(1):73–7.

4. Buonaccorsi S, Leonardi A, Covelli E, Indrizzi E, Perdicchi A, Fini G. Parry-romberg syndrome. J Craniofac Surg. 2005;16(6):1132–5.

5. El-Kehdy J, Abbas O, Rubeiz N. A review of parry-romberg syndrome. J Am Acad Dermatol 2012; 67:769–84.

6. Tolkachjov SN, Patel NG, Tollefson MM. Progressive hemifacial atrophy: a review. Orphanet J Rare Dis. 2015;10:39.

7. Bucher F, Fricke J, Neugebauer A, Cursiefen C, Heindl LM. Ophthalmological manifestations of parry- romberg syndrome. Surv Ophthalmol 2016;61:693–701.

8. Khamaganova I. Progressive hemifacial atrophy and linear scleroderma en coup de sabre: a spectrum of the same disease? Front Med.2018;4:258.

9. Martins MV, Azevedo I, Rodrigues C, Oliveira M. Linear scleroderma en coup de sabre – a different clinical presentation. acta reumatol port. 2021;46:72-76.

10. Tollefson MM, Witman PM. En coup de sabre morphea and parry-romberg syndrome: a retrospective review of 54 patients. J Am Acad dermatol. 2007;56(2):257-263.

11. Glaser DH, Schutt C, Schollaert-Fitch K, Torok K. Linear scleroderma of the headupdates in management of parry romberg syndrome and en coup de sabre: a rapid scoping review across subspecialties. Eur J Rheumatol 2020;7(Suppl 1): S48-S57.

12. Creadore A, Watchmaker J, Maymone MBC, Pappas L, Lam C, Vashi NA. Cosmetic treatment in patients with autoimmune connective tissue diseases. J Am Acad Dermatol. 2020;83(2):315–41.

13. Onesti MG, Troccola A, Scuderi N. Volumetric correction using poly-L-lactic acid in facial asymmetry: parry romberg syndrome and scleroderma. Dermatol Surg. 2009;35(9):1368-1375.

14. Ha D ‐L, Oh C ‐K, Kim M ‐B. Parry–romberg syndrome treated with injectable poly‐L‐ lactic acid and hyaluronic acid filler: a case report. J Eur Acad Dermatol Venereol. 2020.27;34(6).

AUTHOR’S CONTRIBUTION:

Renato Roberto Liberato Rostey 0000-0001-8656-4111

The use of PLLA collagen biostimulator (Sculptra®) has proven to be a safe and feasible method for treating volume loss and asymmetries resulting from PRS and LSCS. Volume replacement, improved skin quality, improved symmetry, and consequent aesthetic improvement lead to improved quality of life for these patients. Proper patient selection, the amount of product to be used, which should always be individualized, and a well-trained professional injector are all important factors in the success of the treatment. l

15. Pamatmat JJ, Gonzalez CD, Euwer R, Summers E, Smart D, Goff HW. Novel use of poly‐L‐lactic acid filler for the treatment of facial cutaneous atrophy in patients with connective tissue disease. J Cosmet Dermatol. 2021;00:1–5.

16. Griffith LG. Polymeric biomaterials. Acta Materialia. 2000;48(1):263-77.

17. Cunha MG, Engracia M, Souza LG, Machado Filho CD. Bioestimuladores e seus mecanismos de ação. Surg Cosmet Dermatol. 2020;12(2).

18. Schelke LW, Van-Den-Elzen HJ, Erkamp PPM, Neumann HAM. Use of ultrasound to provide overall information on facial fillers and surrounding tissue. Dermatol Surg 2010;36:1843–1851.

19. Wortsman X,Wortsman J, Orlandi C, Cardenas G, Sazunic I, Jemec GBE. Ultrasound detection and identification of cosmetic fillers in the skin. J Eur Acad Dermatol Venerol.2012;26:292–301.

20. Wortsman X. Identification and complications of cosmetic fillers. J Ultrasound Med 2015;34:1163–1172.

21. Bouer M, Chammas MC, Messina MCL, Oliveira IRS, Cerri GG. Correlação clínica e ultra-sonográfica na esclerodermia localizada cutânea. Radiol Bras. 2008;41(2):87–91

22. Quintana-Castanedo L, Sánchez-Orta A, Nuno-Gonzalez A, Herranz-Pinto P. Usefulness of cutaneous ultrasound in the management of parry romberg syndrome. Skin Res Technol. 2021;00:1–2.

23. Sigrist R, Noronha G, Quezada N, Wortsman X. Ultrasonographic pattern of poly-L- lactic acid at high-frequency and ultrahigh-frequency. Dermatol Surg. 2024;50(8):783-785.

24. Habib P, Roddy J, Ch'ng S, Chowalloor P, Keen H. The role of ultrasound in scleroderma skin disease. Tasman Med J. 2021;3(1):2652-1881.

25. Dźwigała M, Sobolewski P, Maślińska M, Yurtsever I, Szymanska E, Walecka I. High-resolution ultrasound imaging of skin involvement in systemic sclerosis: a systematic review. Rheumatol Int. 2021;41:285–295.

26. Fontan C, Cardoso D, Rezende JP, Zattar LC, Mota A. Avaliação ultrasonográfica dos preenchedores e bioestimuladores em diferentes aparelhos de ultrassonografia e com diferentes frequências. JODI. 2023;1:e2023004.

Statistical analysis, approval of the final version of the manuscript, study design and planning, preparation and writing of the manuscript, data collection, analysis, and interpretation, effective participation in research guidance, intellectual participation in propaedeutic and/or therapeutic conduct of studied cases, critical literature review, critical review of the manuscript.

Cristiane Ferreira Rallo de Almeida 0000-0002-8525-344X

Approval of the final version of the manuscript, study design and planning, preparation and writing of the manuscript, critical literature review, critical review of the manuscript.

Danilo Olavarria D’Aquino 0009-0002-3767-591X

Data collection, analysis, and interpretation, intellectual participation in propaedeutic and/or therapeutic conduct of studied cases, critical review of the manuscript.

Caio Leal Carvalho 0009-0005-7919-7188

Data collection, analysis, and interpretation, intellectual participation in propaedeutic and/or therapeutic conduct of studied cases.

www.surgicalcosmetic.org.br/

Adult female acne: prevalence and risk factors in a sample of the Brazilian population

Acne da mulher adulta: prevalência e fatores de risco em uma amostra da população brasileira

Original Article

Authors:

Eloana Pasqualin Lange1

Gabriela Roncada Haddad1

Raul Pansardis Sampaio2

Pedro Coltro Estella2

Juliano Vilaverde Schmitt1

DOI: http://www.dx.doi.org/10.5935/scd1984-8773.2025170363

ABSTRACT

INTRODUCTION: Adult female acne (AFA) affects women over 25 years old. Although there are no solid data in the Brazilian literature, genetic, hormonal, and environmental factors are believed to contribute to its pathogenesis.

OBJECTIVE: To assess the prevalence of AFA and its possible risk factors in a sample of the Brazilian population.

METHODS: A cross-sectional clinical study was conducted with 258 women aged 25 to 55 stratified by race and age according to the Brazilian population (2010 census). The study analyzed their demographic, clinical, psychological, and exposure-related information.

RESULTS: Acne complaints were reported by 41.1% of participants, ranging from 15% in those aged 50–55 to 60% in those aged 25–29. Clinical examination confirmed lesions in 36.6% of women. In 70% of cases, acne had persisted since adolescence, and 13.2% of participants were undergoing treatment. Acne was significantly associated with age, race, age at menarche, hirsutism, smoking, oily skin, and makeup use (p<0.05).

CONCLUSIONS: Acne was a prevalent issue, especially before age 40, and was more common in Black and mixed-race individuals, those with clinical signs of hyperandrogenism, and makeup users. However, it was inversely associated with smoking.

Keywords: Acne Vulgaris; Adult; Hyperandrogenism.

RESUMO

INTRODUÇÃO: A acne da mulher adulta (AMA) afeta mulheres com mais de 25 anos. Apesar de não haver dados sólidos na literatura brasileira, acredita-se que fatores genéticos, hormonais e ambientais contribuam para sua patogênese.

OBJETIVO: Avaliar a prevalência da AMA e seus possíveis fatores de risco em uma amostra da população brasileira.

MÉTODOS: Estudo de investigação clínica do tipo transversal com 258 mulheres, estratificadas por raça e idade de acordo com a população brasileira (censo 2010), entre 25 e 55 anos, que avaliou suas informações demográficas, clínicas, psicológicas e fatores de exposição.

RESULTADOS: A queixa de acne esteve presente em 41,1% das pacientes, variando de 15% entre 50 e 55 anos a 60% entre 25 e 29 anos. Ao exame, 36,6% das mulheres apresentavam lesões. Setenta por cento dos casos de acne persistiram desde a adolescência, e 13,2% estavam em tratamento. A acne correlacionou-se significativamente com idade, raça, idade da menarca, hirsutismo, tabagismo, pele oleosa e uso de maquiagem (p < 0,05).

CONCLUSÕES: A acne foi um problema prevalente, principalmente antes dos 40 anos de idade, esteve mais associada a raças negra e parda, sinais clínicos de hiperandrogenismo e uso de maquiagem, porém inversamente associada ao tabagismo. Palavras-chave: Acne Vulgar; Adulto; Hiperandrogenismo.

1 Universidade Estadual Júlio de Mesquita Filho, Departamento de Infectologia, Dermatologia, Diagnóstico por Imagem e Radioterapia da Faculdade de Medicina de Botucatu, Botucatu (SP), Brazil

2 Faculdade de Medicina de Botucatu - Universidade Estadual Júlio de Mesquita Filho, Botucatu (SP), Brazil

Correspondence:

Eloana Pasqualin Lange E-mail: eloanalange@hotmail.com / eloana.lange@unesp.br

Funding source: None

Conflicts of interest: None

Submission on: 04/07/2024

Approved on: 06/06/2024

How to cite this article: Lange EP, Haddad GR, Sampaio RP, Estella PC, Benedito BA, Schimitt JV. Adult female acne: prevalence and risk factors in a sample of the Brazilian population. Surg Cosmet Dermatol. 2025;17:e20250363.

INTRODUCTION

Acne is considered a chronic disease of the pilosebaceous unit, and its high prevalence among adolescents is well documented worldwide.1 However, in recent years, there has been increasing recognition of this condition among women over 25 years, where it may persist continuously or intermittently from adolescence or appear for the first time in adulthood.2 Studies estimate that the prevalence of adult female acne (AFA) in English and French women is 41%3 and 54%,4 respectively. Persistent AFA is believed to be the most common form, reported in 80% of adult women with acne.5

Early studies suggested that AFA lesions were primarily located in the lower third of the face, including the mandibular, perioral, and mental regions, forming a U-shaped pattern, as well as in the anterior neck area.6 However, this classic distribution was later questioned by studies that reported lesions in other areas of the face and body. A European study found that most women (89.8%) had acne in multiple facial areas, including the forehead, malar region, mandibular area, and temples, with a severity spectrum similar to adolescent acne.2 This multicenter study also indicated that the most common clinical presentation was mixed facial acne, with both inflammatory and noninflammatory lesions. Most women (93.7%) had comedones, 48.4% had trunk involvement, and only 11.2% had acne in the mandibular region. Notably, among those with mandibular acne, most reported the onset of lesions during adolescence.2 Another American study found the presence of mild to moderate inflammatory lesions, with few comedones or closed microcysts. It also highlighted post-inflammatory hyperpigmentation, with scarring occurring in 20% of affected women.6

Given the possible clinical distinction between AFA and common acne, new classification scales have been developed to assess different degrees of acne severity and guide appropriate treatment. The most widely recognized include the Global Evaluation Acne (GEA) scale and the Adult Female Acne Scoring Tool (AFAST), which includes an assessment of the submandibular region.7,8 Since persistent acne is a continuation of adolescent acne and is the most frequent clinical form, AFA has been suggested to share similar pathogenic factors with common acne. However, the causes of post-adolescent acne remain unclear, with strong evidence pointing to the role of hyperandrogenism, among other factors.9,10

In an effort to investigate these causes, a multicenter study involving 15 countries—excluding Brazil—proposed some hypotheses for AFA, including a personal history of adolescent acne (75%), a first-degree family history (56.8%), moderate psychological stress (83.2%), and smoking (24.8%).2 Androgens play a key role in sebum production, as supported by observations that individuals with androgen insensitivity do not produce detectable sebum and that the production of sebum decreases in response to estrogen and antiandrogen treatment. Conversely, administering testosterone to adult men and women increases sebum production and consequently acne lesions.11

The consumption of high-glycemic-index foods and dairy products has been linked to acne exacerbation as they increase insulin levels and insulin-like growth factor 1 (IGF-1), which stimulate androgen production.12 Psychological stress is also known to trigger the release of proinflammatory cytokines and elevate cortisol levels; one study found that stress worsens acne in 50% of women.4

Common acne is among the skin diseases most associated with psychiatric morbidity. One study estimated that 21.9% of individuals with acne had a psychiatric disorder.13 Moreover, acne after age 25 appears to cause greater distress related to appearance and a greater impact on quality of life compared to adolescent acne.9,14

Despite the growing presence of AFA in dermatological practice, there are no studies estimating its prevalence in Brazil or identifying its risk factors. Because prevalence studies are essential for health care system planning, identifying susceptible groups, and improving understanding of disease pathophysiology, this study aims to determine the prevalence of AFA in a stratified sample of the Brazilian female population as well as explore associations between demographic, clinical, and environmental factors and AFA prevalence.

METHODS

A cross-sectional study was conducted and approved by a Research Ethics Committee in September 2021 under approval number 4,962,888. The sample size of 258 women was precalculated to allow an exploratory multivariate analysis with up to 15 independent variables, following Freeman’s method, with a 95% CI and a ±5% margin of error in the total detected acne prevalence. Women were also stratified by age (25–29, 30–34, 35–39, 40–44, 45–49, 50–54) and race (White, Mixed-race, Black, and Asian), according to the proportions of the Brazilian population based on the 2010 Brazilian Institute of Geography and Statistics (IBGE) census (Chart 1).

Women were evaluated in a city in the interior of the state of São Paulo (SP) at a single large public health center. They were recruited through convenience sampling, including

Chart 1: Distribution of 258 women stratified by age and race according to the 2010 Brazilian Institute of Geography and Statistics (IBGE) census

Interviews were conducted between September 2021 and September 2022.

students, patient companions, employees, and other women attending the study site at the time.

Women aged 25 to 55 years who fit the stratified sample criteria and provided informed consent were included. Pregnant or lactating women and those attending the center for a dermatological consultation at the time of recruitment were excluded to avoid selection bias.

Participants answered a questionnaire assessing acne complaints at the time of the interview through the question: “Do you believe you have an acne problem?” The questionnaire also collected demographic and anthropometric data (age, weight, height, race, and abdominal circumference), exposure factors (smoking, alcohol consumption, medication use, diet), and hormonal factors (hirsutism assessed using the Ferriman scale, use of hormonal contraceptives, age at menarche and menopause, and number of pregnancies). Additionally, the Hospital Anxiety and Depression Scale (HADS), Perceived Stress Scale (PSS-10), and the Cardiff Acne Disability Index (CADI) adapted to Portuguese were applied. A clinical evaluation of facial and neck lesions was conducted to classify AFA severity using the Adult Female Acne Scoring Tool (AFAST).

Data were organized in Microsoft Office Excel 365 and analyzed to determine the prevalence of acne complaints and their associations with the studied variables. A bivariate analysis was performed, and variables with p≤0.3 were included in the final multivariate model. Continuous variables were analyzed using the Student’s t-test for parametric data or the Mann-Whitney test for nonparametric data based on data normality, which was assessed using the Shapiro-Wilk test. Categorical variables were compared using the chi-square test or Fisher’s exact test depending on the number of events in each analysis. Correlations were analyzed using Spearman’s test. Multivariate analysis was performed using a generalized linear model with a binomial distribution and a logistic link function, in which the dependent variable was the presence of acne complaints. Categorical data were presented as absolute values and percentages, while quantitative data were reported as mean ± standard deviation or

median and quartiles depending on normality. Data analysis was conducted using IBM SPSS 25.0, and statistical significance was set at p<0.05 (two-tailed).

RESULTS

In this sample of 258 women, 41.1% (95% CI: 35.3%–46.1%) reported acne complaints, ranging from 60% among those aged 25–29 to 15% in the 50–55 age group (Graph 1). At the time of the clinical examination, 36.6% of participants presented acne lesions. Among those who reported having acne, 70% had experienced it continuously since adolescence, and 26.6% were undergoing treatment (Graph 2).

For 69% of the sample, acne was not a significant concern, while 28% considered it a minor issue, and 3% viewed it as a major problem. Women who reported acne tended to be younger (median age: 34; p25-p75: 28–39) compared to those who did not report acne (median age: 41; p25-p75: 34–48) (p<0.01, Mann-Whitney test).

Acne complaints were also significantly associated with race, being more prevalent among Black and mixed-race women (Table 1). Body mass index (BMI) and abdominal circumference showed no significant association with acne complaints. However, among gynecological factors, earlier age at menarche was associated with acne complaints, while menstrual irregularity was not (Table 1).

A lower number of pregnancies was associated with acne complaints in the bivariate analysis, likely acting as a confounder related to patient age, as younger women presumably had fewer pregnancies. Additionally, 15.8% of women without acne complaints were postmenopausal, compared to 4.7% of those with acne, indicating an association between the absence of acne complaints and menopause in the bivariate analysis.

Hirsutism, defined by a Ferriman score >8, was strongly associated with acne complaints, with a prevalence of 11.3% in women with acne compared to 2.6% in those without. Dietary factors such as food restrictions, milk consumption, dietary supplements, sugar, and artificial sweeteners

n Never had

n Only after 25 years of age

n Present in adolescence, got better and returned

n Persisting from adolescence

n Present only in adolescence

Graph 1: Prevalence of acne complaints by age group (N = 258)
Graph 2: Acne progression over lifetime (N = 258)

Table 1: Association between studied variables and acne complaints in 258 women

*Mann-Whitney test, median (p25–p75).

† Generalized linear model with binomial distribution and logistic link function. Variables with p≤0.30 in the bivariate analysis were included. HADS = Hospital Anxiety and Depression Scale; PR = prevalence ratio.

showed no significant correlation with acne. However, chocolate and fast-food consumption were statistically significant in the bivariate analysis, suggesting a possible bias related to eating habits and age. Family history of acne was not significantly associated with AFA complaints. Prior isotretinoin use was reported by 17 patients, 12 of whom had adult acne.

Oily skin was reported by 82% of women with acne compared to 57% of those without. More frequent makeup use was significantly associated with acne complaints.

Other factors such as face-washing frequency, weekly sun exposure hours, and sunscreen use showed no correlation with acne. Since the present study was conducted during the COVID-19 pandemic, questions about mask use were included, but no association with acne was found.

Self-perception of AFA showed a significant correlation with clinical assessment of acne severity, including submandibular acne, as evaluated by the AFAST scale (Graphs 3 and 4).

Regarding psychosocial impact, the perceived stress and anxiety scales showed a correlation with acne perception in the bivariate analysis, while the depression scale did not. In terms of lesion types observed in the clinical evaluation, retentional lesions were the most prevalent (39%), followed by mixed patterns (32%) and inflammatory lesions (29%). The severity of both facial and submandibular acne was associated with the impact of the disease on quality of life as measured by the CADI among women with acne complaints (p=0.02 and p<0.01, Spearman’s test).

DISCUSSION

The overall prevalence of AFA in our study population was 41.1%, similar to that observed in adult women from England3 and France,4 ranging from 60% in the 25–29 age group to 15% in those aged 50–55. The median age of women with acne was 34 years, comparable to a previous Brazilian study that analyzed medical records of patients with AFA (33.9 years).15 At the time of the clinical examination, 36.6% of participants had acne lesions, with retentional lesions being the most prevalent

n No lesions

n Almost no lesions

n Mild

n Moderate

(39%), followed by mixed patterns (32%) and inflammatory lesions (29%). This contrasts with the same Brazilian study, where moderate inflammatory acne was the predominant clinical classification.15 Similarly, Dréno et al. (2015) reported mixed acne as the most common presentation, with only 6.4% of patients exhibiting purely inflammatory lesions and 17.1% presenting exclusively comedonal acne.2

Higher makeup use was associated with acne complaints, though further studies are needed to determine whether this reflects a causal relationship or if individuals with acne use cosmetics to conceal lesions. A multicenter study similarly found that 70.7% of individuals with acne used cosmetics for camouflage, and cosmetic use was significantly associated with increased acne severity.2 Most women with acne in our study also reported oily skin (82.1%), aligning with findings from a multicenter study on AFA, in which seborrhea was observed in 72.2% of cases.2

Hirsutism, assessed using the Ferriman scale, was present in 11.3% of women reporting acne, similar to the 10.8% prevalence observed in a multicenter study. In that study, androgenic signs, including alopecia, hirsutism, and acanthosis nigricans, were evaluated in order of frequency.2 Hirsutism may serve as a sensitive marker for hormonal disorders, as it is strongly associated with menstrual irregularity (31.4%).2 However, in our study, menstrual irregularity was not correlated with AFA, possibly due to hormonal contraceptive use, which may have acted as a confounder. Similarly, in the multicenter study, 81.0% of women with AFA reported regular menstrual cycles, indicating that menstrual irregularities are not a defining feature of the condition.2 We identified a significant inverse association between age at menarche and acne complaints, with earlier menarche associated with higher acne prevalence. While memory bias cannot be ruled out, previous studies have linked early menarche to higher risks of metabolic syndrome and insulin resistance. Supporting these findings, our sample showed a significant inverse correlation between BMI and menarche age (Rho = -0.16, p=0.01; Spearman’s test). However, we did not find other studies

n No lesions

n Rare papules, pustules and/or comedones

n Few papules, pustules and/or comedones

n Numerous papules, pustules and/or comedones

Graph 3: Severity of facial acne (N=258)
Graph 4: Severity of submandibular acne (N=258)

specifically examining the relationship between menarche age and AFA, despite suggestions of a correlation between hormonal and metabolic characteristics.16

In our analysis, higher perceived stress scores (PSS) were associated with AFA in the bivariate analysis. Previous research has linked work-related stress to more severe acne in women, showing that localized acne is more common in individuals with high stress levels or psychologically demanding jobs.2 However, in our multivariate analysis, acne complaints were not correlated with anxiety or depression, suggesting a lower psychiatric impact compared to pigmentary disorders like melasma, which has an established association with anxiety and depression.13,17

Smoking was inversely associated with AFA complaints in our study, even after adjusting for other variables. Acne complaints were twice as common among non-smokers. Clinically, only 22.2% of smokers had acne lesions, compared to 38.7% of non-smokers (p=0.06; chi-square test).The relationship between smoking and acne remains controversial, but it is believed that smoking promotes retentional lesions while reducing seborrhea. The effect of smoking on sebaceous glands may be mediated by aryl hydrocarbon receptors (AhR). Cigarette smoke contains strong activators of these receptors, stimulating the dioxin pathway. In sebocytes, this activation induces glandular atrophy and ductal keratinization, increasing cytokeratin expression.10 This combination of effects may explain the contradictory role of smoking in AFA, as it may increase retentional lesions while re-

ducing seborrhea.18,19 Additionally, a study of 27,000 young men found an inverse association between smoking and severe acne, suggesting a potential anti-inflammatory effect of nicotine.20 Among patients with AFA, 70% had persistent acne since adolescence, consistent with another Brazilian study that reported 80% persistent acne. This finding underscores the importance of long-term monitoring for adolescent females with acne, even into early adulthood, as well as the need for studies to identify risk factors for acne persistence.5 Although our study was conducted at a single center, we believe our findings represent a meaningful segment of the Brazilian female population, as our sample was stratified by age and race according to IBGE census data. However, we recognize that a larger multicenter study with a larger sample size will be necessary to confirm our results.

CONCLUSION

In a stratified sample of adult women from the Brazilian population, acne was a prevalent condition (41.1%), especially before the age of 40. However, it was generally of mild to moderate severity, with most cases persisting from adolescence. Acne complaints were independently correlated with Black and mixed-race ethnicity, hirsutism, earlier menarche age, oily skin, and makeup use. Conversely, smoking and older age were inversely associated with acne. l

REFERENCES:

1. Ghodsi SZ, Orawa H, Zouboulis CC. Prevalence, severity, and severity risk factors of acne in high school pupils: a community-based study. J Invest Dermatol. 2009;129(9):2136–41.

2. Dréno B, Thiboutot D, Layton AM, Berson D, Perez M, Kang S. Large-scale international study enhances understanding of an emerging acne population: adult females. J Eur Acad Dermatol Venereol. 2015;29(6):1096–106.

3. Goulden V, Stables GI, Cunliffe WJ. Prevalence of facial acne in adults. J Am Acad Dermatol. 1999;41(4): 577-80.

4. Poli F, Dreno B, Verschoore M. An epidemiological study of acne in female adults: results of a survey conducted in France. J Eur Acad Dermatol Venereol. 2001;15(6):541-5.

5. Schmitt JV, Masuda PY, Miot HA. Padrões clínicos de acne em mulheres de diferentes faixas etárias. An Bras Dermatol. 2009;84(4):349-54.

6. Chaowattanapanit S, Silpa-archa N, Kohli I, Lim HW, Hamzavi I. Post inflammatory hyperpigmentation: a comprehensive overview: treatment options and prevention. J Am Acad Dermatol. 2017;77(4): 607-21.

7. Dréno B, Poli F, Pawin H, Beylot C, Faure M, Chivot M, et al. Development and evaluation of a Global Acne Severity Scale (GEA Scale) suitable for France and Europe. J Eur Acad Dermatol Venereol. 2011;25(1):43-8.

8. Auffret N, Claudel JP, Leccia MT, Poli F, Farhi D, Dréno B. AFAST -Adult Female Acne Scoring Tool: an easy-to-use tool for scoring acne in adult females. J Eur Acad Dermatol Venereol. 2016;30(5):824-8.

9. Williams C, Layton AM. Persistent acne in women implications for the patient and for therapy. Am J Clin Dermatol. 2006;7(5): 281-90.

10. Rivera R, Guerra A. Management of acne in women over 25 years of age. Actas Dermosifiliogr. 2009;100(1):33–7.

11. Giltay EJ, Gooren LJG, Giltay EJ. Effects of sex steroid deprivation/administration on hair growth and skin sebum production in transsexual males and females. J Clin Endocrinol Metab. 2000;85(8):2913-21.

Surg Cosmet Dermatol. 2025;v.17: n.1 jan-mar. p.76-82.

12. Melnik BC, Zouboulis CC. Potential role of FoxO1 and mTORC1 in the pathogenesis of western diet-induced acne. Exp Dermatol. 2013;22 (5):311-5.

13. Picardi A, Abeni D, Renzi C, Braga M, Puddu P, Pasquini P. Increased psychiatric morbidity in female outpatients with skin lesions on visible parts of the body. Acta Derm Venereol. 2001;81(6):410-4.

14. Kokandi A. Evaluation of acne quality of life and clinical severity in acne female adults. Dermatol Res Pract. 2010;2010:410809.

15. Addor FA, Schalka S. Acne in adult women: epidemiological, diagnostic and therapeutic aspects. An Bras Dermatol. 2010;85(6):789-95.

16. Paz MR, Mendoza BMT, Castillo NT. Age of the onset of menarche and its complications: a literature review. Int J Gynaecol Obstet. 2023;162(1):244-255.

17. Espósito MCC, Espósito ACC, Jorge MFS, D’Elia MPB, Miot HA. Depression, anxiety, and self-esteem in women with facial melasma: an internet-based survey in Brazil. Int J Dermatol. 2021;60(9):e346-7.

18. Kitamura M, Kasai A. Cigarette smoke as a trigger for the dioxin receptor- mediated signaling pathway. Cancer Lett. 2007;252(2): 184–94.

19. Ju Q, Fimmel S, Hinz N, Stahlmann R, Xia L, Zouboulis CC. 2,3,7,8- Tetrachlorodibenzo-p-dioxin alters sebaceous gland cell differentiation in vitro. Exp Dermatol. 2011;20(4):320-5.

20. Klaz I, Kochba I, Shohat T, Zarka S, Brenner S. Severe acne vulgaris and tobacco smoking in young men. J Invest Dermatol. 2006;126(8):1749–52.

AUTHOR’S CONTRIBUTION:

Eloana Pasqualin Lange 0000-0002-9576-5625

Approval of the final version of the manuscript, Study conception and planning, Manuscript drafting and writing, Data collection, analysis, and interpretation, Intellectual participation in the propaedeutic and/or therapeutic management of studied cases, Critical review of the literature, Critical review of the manuscript.

Gabriela Roncada Haddad 0000-0002-7516-9586

Approval of the final version of the manuscript, Study conception and planning, Active participation in research supervision, Critical review of the literature, Critical review of the manuscript.

Raul Pansardis Sampaio 0000-0001-9889-5938

Approval of the final version of the manuscript, Data collection, analysis, and interpretation, Intellectual participation in the propaedeutic and/ or therapeutic management of studied cases

Pedro Coltro Estella 0000-0003-3140-6911

Approval of the final version of the manuscript, Study conception and planning, Data collection, analysis, and interpretation, Intellectual participation in the propaedeutic and/or therapeutic management of studied cases.

Beatriz Antunes Benedito 0009-0001-2240-305X

Approval of the final version of the manuscript, Study conception and planning, Data collection, analysis, and interpretation, Intellectual participation in the propaedeutic and/or therapeutic management of studied cases.

Juliano Vilaverde Schmitt

0000-0002-7975-2429

Statistical analysis, Approval of the final version of the manuscript, Study conception and planning, Data collection, analysis, and interpretation, Active participation in research supervision, Intellectual participation in the propaedeutic and/or therapeutic management of studied cases, Critical review of the literature, Critical review of the manuscript.

www.surgicalcosmetic.org.br/

Outcomes of facial skin cancer treatment using local skin flaps at Can Tho City Oncology Hospital from 2021 to 2023

Resultados do tratamento de câncer de pele facial usando retalhos locais de pele no Hospital de Oncologia da Cidade de Can Tho de 2021 a 2023

Original Article

Authors: Du Van Truong1

Lam Van Nguyen1

Nam Ky Nguyen2

Luat Thao Huynh3 Mai Huynh Truc Phuong1

1 Can Tho University of Medicine and Pharmacy, Department of Medicine, Can Tho, Vietnam

DOI: http://www.dx.doi.org/10.5935/scd1984-8773.2025170368

ABSTRACT

BACKGROUND: Reconstructive surgery remains the primary approach for treating facial skin cancer, aiming to restore both anatomy and aesthetics. Local flaps are commonly preferred for facial reconstruction.

OBJECTIVE: To describe the clinical and subclinical characteristics of facial skin cancer and evaluate treatment outcomes using local flaps.

METHODS: A descriptive cross-sectional study with clinical intervention, without a control group, was conducted on 84 patients diagnosed with facial skin cancer and treated at Can Tho City Oncology Hospital from May 2021 to April 2023.

RESULTS: Outcomes were assessed during hospitalization and 6 months postoperatively. Among the 84 patients, 68 had basal cell carcinoma, and 16 had squamous cell carcinoma. The nose was the most frequently treated site, accounting for 43 cases. Lesions smaller than 2 cm comprised 70.2% of cases. After 6 months, 65 out of 84 flap sites (77.4%) exhibited minimal scarring that could be concealed, with an aesthetic success rate of 73.8%.

CONCLUSIONS: Key factors influencing surgical outcomes include the surgeon’s experience, lesion location and size, tumor invasion extent, and skin elasticity.

Keywords: Facial Dermatoses; Surgical Flaps; Southeast Asian People.

RESUMO

INTRODUÇÃO: A cirurgia reconstrutiva continua sendo o principal método de tratamento do câncer de pele facial, visando tanto a restauração anatômica quanto a estética. Muitos cirurgiões preferem o uso de retalhos locais para a reconstrução facial.

OBJETIVO: Descrever as características clínicas e subclínicas do câncer de pele facial e avaliar os resultados do tratamento com retalhos locais.

MÉTODOS: Estudo transversal descritivo com intervenção clínica, sem grupo controle, realizado com 84 pacientes diagnosticados com câncer de pele facial e atendidos no Hospital de Oncologia da Cidade de Can Tho entre maio de 2021 e abril de 2023.

RESULTADOS: Os resultados foram avaliados durante a internação e 6 meses após a cirurgia. Dos 84 pacientes, 68 apresentavam carcinoma basocelular e 16 tinham carcinoma espinocelular. O nariz foi o local mais frequentemente tratado, com 43 casos. Lesões menores que 2 cm corresponderam a 70,2% dos casos. Após 6 meses, 65 dos 84 pacientes (77,4%) apresentavam cicatrizes mínimas e disfarçáveis, resultando em uma taxa de sucesso estético de 73,8%.

CONCLUSÕES: Os principais fatores que influenciam os resultados cirúrgicos incluem a experiência do cirurgião, a localização e otamanho da lesão, a extensão da invasão tumoral e a elasticidade da pele. Palavras-chave: Dermatoses Faciais; Retalhos Cirúrgicos; População do Sudeste Asiático.

2 Can Tho University of Medicine and Pharmacy, Department of Pharmacology and Clinical Pharmacy, Can Tho, Vietnam

3 Can Tho Oncology Hospital, Can Tho, Vietnam

Correspondence: Lam Van Nguyen E-mail: nvlam@ctump.edu.vn

Funding source: None. Conflict of interest: None.

Submission date: 04/28/2024

Final decision: 08/28/2024

How to cite this article: Truong DV, Nguyen LM, Nguyen NK, Huynh LT, Phuong MHT. Outcomes of facial skin cancer treatment using local skin flaps at Can Tho City Oncology Hospital from 2021 to 2023. Surg Cosmet Dermatol. 2025;17:e20250368.

INTRODUCTION

Skin cancer is typically treated with surgery or chemotherapy, particularly in advanced cases. However, beyond disease management, there is a growing need to address aesthetic concerns. Facial skin cancer not only affects vital anatomical structures but also significantly impacts appearance. Unfortunately, its incidence is rising in many countries.

Surgical correction of facial soft tissue defects presents three main challenges: complete tumor removal to minimize the risk of recurrence, prevention or correction of functional impairments resulting from tumor excision, and reconstruction of the defect to achieve the best possible aesthetic outcome.1 In Vietnam and many other countries, facial skin cancer treatment still involves wide excision followed by reconstruction of the affected area.2

One of the most commonly used methods for facial reconstruction is the local flap technique, which offers several advantages. It provides a well-vascularized tissue source, allows for relatively extensive flap movement, features a long and narrow vascular pedicle compared to traditional skin flaps, and ensures coverage that matches the defect in both tissue thickness and color. Additionally, it enables the concealment of surgical scars within natural skin folds, making it a widely preferred approach in most cases.

At Can Tho City Oncology Hospital, facial skin cancer treatment has been performed since its establishment in October 2007. Most patients present with extensive lesions that significantly impact their appearance, complicating defect reconstruction. Despite a considerable number of hospitalizations for facial skin cancer treatment — 119 cases in 2019 and 125 cases in 2020 — few studies have comprehensively evaluated and monitored reconstruction methods following tumor excision. Therefore, this study was conducted to assess the outcomes of facial skin cancer treatment using the local flap technique.

METHODS

This was a cross-sectional descriptive study with clinical intervention, without a control group, conducted on a sample of 84 patients. The study was conducted from May 2021 to April 2023 at the Department of Surgery I, Can Tho City Oncology Hospital,Vietnam.

Patients included in the study had a confirmed diagnosis of facial skin cancer through histopathological examination and had surgical defects eligible for reconstruction using local flaps. Only those who provided informed consent were included. Patients diagnosed with sarcoma, lymphoma, or adnexal skin cancer were excluded due to the distinct histopathological characteristics of these neoplasms.

Technical procedure for tumor resection and reconstruction

Before surgery, a clinical examination is performed to determine the location and size of the lesion and to review the

patient’s medical history. Factors influencing the reconstruction process, including aesthetic considerations, skin elasticity, and the involvement of critical anatomical structures, are assessed. The treatment plan is thoroughly explained to the patient. If tumor invasion beneath the skin is suspected, a CT scan is performed, while an MRI is used to evaluate potential bone invasion. Preoperative assessments include routine hematology tests, liver and kidney function tests, blood protein levels, urinalysis, chest X-ray, electrocardiogram, and echocardiography to assess the patient’s overall health.

The surgical procedure consists of several steps. The lesion is measured in length and width, and its margins and resection borders are marked with ink. The resection margin for basal cell carcinoma is determined based on lesion size and risk factors: 3–5 mm for small lesions under 2 cm and 7–10 mm for larger or high-risk lesions. For squamous cell carcinoma, the resection margin extends 5–15 mm beyond the visible tumor border, including the erythematous halo. The defect is classified as simple or complex to establish a reconstruction plan, which may involve one or multiple stages. The flap is designed to optimally cover the defect while preserving aesthetic units. During excision, the incision line is aligned with natural skin folds whenever possible. Histological samples are collected from four skin edges, the tumor base, and the tumor itself for pathological analysis.

Postoperative follow-up focuses on assessing skin flap perfusion, wound healing, and early complications until hospital discharge. Evaluations are based on feedback from the surgeon, hospitalist, and patient. Photographic documentation is performed at four time points: before surgery, during the procedure, postoperatively, and at follow-up visits scheduled for 7 days, 1 month, 3 months, and 6 months after surgery. Patient records are maintained, and additional follow-up information is collected through phone calls or in-person consultations.

Surgical outcomes are evaluated in three categories: oncological, functional, and aesthetic. The oncological assessment ensures clear resection margins and monitors for local, regional, or distant recurrence. The functional evaluation examines the surgery’s impact on the operated area and adjacent structures, identifying any functional impairments. The aesthetic outcome is categorized into three levels: 1) Good: no asymmetry, no visible signs of plastic surgery, or only minor scarring or asymmetry that does not significantly affect facial appearance; 2) Moderate: noticeable but mild asymmetry or facial distortion that does not severely impact appearance; 3) Poor: significant deformity or scarring that visibly alters the patient’s facial appearance.

RESULTS

General Features

The study included 84 patients aged 26 to 92 years, with an average age of 66.5 ± 0.2 years. The proportion of female patients was higher than that of male patients, with a female-to-male ratio of 1.4. Most patients resided in rural areas (75%), and

52.4% had occupations involving direct exposure to sunlight.

Histopathological analysis identified basal cell carcinoma in 66 patients and squamous cell carcinoma in 18. The most common tumor location was the nose, affecting 51.2% of patients, followed by the cheek and eye regions (both 15.5%), the lips (14.3%), and the brow (3.5%). Lesions measuring 2 cm or less accounted for 70.2% of cases. The average time from lesion onset to hospital admission was 12 months in 47 out of 84 patients (56%). Most patients (74 out of 84) were diagnosed at clinical stages I or II.

Margin control results showed that among the 66 basal cell carcinoma cases, six had at least one positive margin after excision. However, no recurrence was observed during the six-month follow-up period. In the 18 cases of excised squamous cell carcinoma, all margins were tumor-free, but two cases experienced recurrence.

Evaluate treatment results

After 6 months of follow-up, the findings were summarized in two tables: one assessing short-term outcomes (1–3 months) and the other evaluating long-term results (3–6 months). A tumor resection algorithm was then developed based on these findings (Figure 1).

DISCUSSION

Among the 84 cases of facial skin cancer studied, 66 were basal cell carcinoma, and 18 were squamous cell carcinoma. The study population included 36 male patients (42.9%) and 48 female patients (57.1%). Patients ranged in age from 26 to 92 years, with an average age of 66.5 ± 0.2 years. Previous studies reported similar findings, with Trinh Hung Manh documenting

an average age of 64.92 ± 0.1 years and Duong Manh Chien reporting an average of 68 ± 13.1 years.1,3 These findings suggest that facial skin cancer is more common in older individuals, with incidence rates increasing progressively with age.

The female-to-male ratio in this study was 34:50, with a higher number of women. This may be explained by men being less likely to examine their skin and use sunscreen, whereas women are more inclined to seek dermatological evaluation at the first sign of a skin lesion. As a result, potentially malignant tumors are detected earlier in women. Studies suggest women are generally more proactive in protecting their skin from sun exposure, which may help reduce the harmful effects of UV radiation.10

The study also found that 78.6% of patients lived in rural areas, with most working in agriculture and experiencing prolonged sun exposure.The proportion of individuals working outdoors was 52.4%, lower than the 80.9% reported in research by Trinh Hung Manh.3 Sun exposure remains a primary risk factor for UTD, with outdoor workers exhibiting a higher prevalence of the disease. According to David C. Whiteman, an Australian study found individuals with outdoor occupations had a 5.5 times higher risk of developing skin cancer compared to indoor workers, and light skin tone increased this risk up to 10.5 times.11 This increased susceptibility may be due to prolonged exposure to risk factors and compromised immune defense. Additionally, the study highlights that many patients may lack awareness about basal and squamous cell carcinoma or experience delays in diagnosis and treatment due to reliance on traditional medicine or initial misdiagnosis as fungal or inflammatory conditions. Similar findings were reported by Doan Huu Nghi and the Communist Party, where the incidence rate reached 68%.4

Table 1: Evaluation of early results of plastic surgery after tumor resection (n = 84)

Table 2: Evaluation of long-term outcomes of plastic surgery after tumor excision (n = 84)

A D B E C F

1: A - 56-year-old female patient with basal cell carcinoma in the nose and cheek area underwent tumor excision and reconstruction using a local flap.

A - Preoperative condition. B, C - Intraoperative stages.

D - Postoperative appearance at 7 days.

E - Postoperative appearance at 1 month.

F - Postoperative appearance at 6 months

Figure

Basal cell carcinoma accounted for 78.6% of cases, while squamous cell carcinoma made up 21.4%. These proportions align with findings from research by Trinh Hung Manh.3 Among the 66 basal cell carcinoma cases, six had positive resection margins, yet no recurrences were recorded during the 6-month follow-up. This could be attributed to the typically slow progression of basal cell carcinoma. However, previous research indicates recurrence rates tend to rise over time, particularly within the first 2 years after surgery, and can continue to increase between 2 and 5 years postoperatively. In research by Trinh Hung Manh, the average time between initial surgery and recurrence was 25 months, ranging from as early as 3 months to as late as 51.1 months.

Regarding surgical margins, 78.1% of cases had a resection margin of 5–10 mm from the tumor. The standard margin for basal cell carcinoma is typically 5–10 mm. In two cases of squamous cell carcinoma, the surgical margin was less than 5 mm due to tumor proximity to critical structures, such as eyelid cartilage, where wider excision was not feasible. Among the 18 squamous cell carcinoma cases, two experienced recurrences despite negative surgical margins. One recurrence occurred in a patient with a 4 × 6 cm lesion on the cheek, classified as grade 2 aggressive squamous cell carcinoma, who experienced local recurrence 3 months after surgery.

Facial tumors are relatively easy to detect early, given their visibility. In this study, 54.8% of patients presented with tumors smaller than 5 cm. Tumor staging was determined based on tumor size (T) and lymph node involvement (N), considering the degree of tissue infiltration and clinical findings. Most cases were classified as T1 (54.8%), followed by T2 (34.2%) and T4 (11%).

Tumors measuring ≤2 cm accounted for 70.2% of cases, with male patients tending to present with larger tumors than females. Trinh Hung Manh reported 63.7% of cases had lesions <2 cm,3 while Bach Quang Tuyen found a slightly lower proportion (53.12%).12 The nose was the most frequently affected site, accounting for 51.2% of cases. Of these, 62.8% affected the nasal alae. Other common tumor sites included the cheeks and eye area (15.5% each), lips (14.3%), and forehead (3.5%). A study by Janjua OS et al. reported a similar trend, with nasal tumors comprising 31.5% of cases, followed by cheek lesions at 26.9%.5

The predominance of nasal tumors can be attributed to the nose’s central location on the face, where it plays a crucial role in both function and aesthetics. Its prominence makes deformities highly noticeable, affecting not only physical appearance but also psychological well-being. Restoring nasal contour is essential for maintaining facial symmetry and quality of life.6

In skin cancer, tumor invasion depth is often more significant than tumor size in determining surgical complexity and recurrence risk. The choice of reconstruction technique depends largely on the extent of invasion. Local flaps are generally recommended for small to medium-sized lesions, especially those involving the eyelids and nasal wings, where preserving function and aesthetics is critical.7 The most common sites of recurrence include the medial canthus, philtrum, nasolabial fold, and preauricular and postauricular regions.

More than half of the basal and squamous cell carcinoma cases in this study measured ≤2 cm (76.7%), followed by tumors between 2–5 cm (12.3%) and >5 cm (11%). The higher proportion of small tumors compared to previous studies may reflect improvements in early detection and healthcare accessibility. When comparing defect size to flap viability, lesions ≤5 cm had a 92.3% success rate, while those >5 cm had an 87.5% success rate. Studies by Duong Manh Chien and Bui Xuan Truong found no significant difference between defect size and flap survival.8 However, tumor invasion depth did impact flap viability. Simple skin invasion cases had a flap survival rate of 91.8%, whereas those involving cartilage and periosteum had a slightly lower rate of 80%. Deeper tumor invasion, particularly into structures such as the orbicularis oculi muscle, increases the likelihood of recurrence and necessitates more complex reconstructive approaches.

One month postoperatively, scars appeared dark brown, slightly raised, and caused mild tissue retraction. By three months, scars had faded to white, and surrounding tissue gradually returned to normal. At six months, 90.5% of skin flaps had color matching the surrounding tissue, 85.7% had thickness comparable to adjacent skin, and 77.4% of scars (65 out of 84 cases) were minimal. Overall aesthetic success rate was 73.8%.

In a study by Nguyen Quang Ruc, 6-month follow-up results showed 73.1% of patients had good outcomes, 26.9% had good outcomes, and no cases were classified as bad.9

CONCLUSION

Local flaps are an effective treatment option for facial skin cancer reconstruction. After six months, surgical outcomes showed minimal and inconspicuous scarring in 77.4% of cases, with an overall aesthetic success rate of 73.8%, meeting both surgeon and patient expectations. The surgeon’s expertise in designing flaps that appropriately match the location and size of the defect plays a crucial role in surgical success.

Further follow-up is necessary to fully assess the long-term effectiveness of the treatment. For future studies, we recommend the use of frozen section analysis in cases where distinguishing between tumor and healthy tissue is challenging, particularly in high-risk recurrence areas. l

REFERENCES:

1. Chien DM, Anh DH. Evaluating the results of local flap reconstruction after excision of basal cell skin cancer in the cheek area. J Med Res. 2022;155(7):67-74.

2. NCCN Guidelines for patients. Basal cell and squamous cell skin cancers. 2022.

3. Manh TH. Research on clinical and histopathological characteristics and evaluate surgical results of treatment of squamous cell carcinoma, basal cell carcinoma of the skin of the head, face and neck area. Res Clin Med Pharm. 2016: 108.

4. Nghi DH. Skin cancer. Oncology. 2001: 223-9.

5. Janjua OS, Qureshi SM. Basal cell carcinoma of the head and neck region: an analysis of 171 cases. J Skin Cancer. 2012:943472:1-4.

6. Manh NT, Lam VN, Tuan LD. Evaluation of clinical characteristics of nasal soft tissue defects surgically treated with forehead skin flaps. Viet Med J. 2022;511(2).

7. Cass ND, Terella AM. Reconstruction of the cheek. Facial Plast Surg Clin N Am.2019;27(1):55-66.

8. Truong BX. Research on wide excision - plastic surgery to treat facial skin cancer

9. [Doctor of Medicine Thesis] Ho Chi Minh City University of Medicine and Pharmacy. 2011.

10. 9. Ruc NQ. Evaluating the results of surgery to reconstruct small and medium soft tissue defects after resection of facial basal cell cancer [Master's thesis in Medicine]. Ha Noi Medical University. 2019.

11. 10. Tuan NAH, Hai VV, Thuong NHC, Dieu DP. Correlation between anthropometric indices of the nasal bone area on adult vietnamese bodies. Viet Med J. 2021;503(1):40.

12. 11. Whiteman DC, Olsen CM, MacGregor S, Law MH, Thompson B, Dusingize JC, et al. The effect of screening on melanoma incidence and biopsy rates. Brit J Dermatol. 2022;187(4):515522.

13. 12. Tuyen QB, Tho HN, Duc QN. Using local tissue in the treatment of head, face and neck skin cancer. Clin Med. 2009;108(2):102-107.

AUTHOR’S CONTRIBUTION:

Du Van Truong

Statistical analysis, Approval of the final manuscript version, Study conception and design, Manuscript drafting and writing, Data collection, analysis, and interpretation, Active participation in research supervision, Intellectual contribution to the diagnostic and/or therapeutic management of studied cases, Critical literature review, Critical manuscript review

Lam Van Nguyen 0000-0001-5970-0528

Statistical analysis, Approval of the final version of the manuscript, Study conception and design, Manuscript drafting and writing, Data collection, analysis, and interpretation, Active participation in research supervision, Intellectual contribution to the diagnostic and/or therapeutic management of studied cases, Critical literature review, Critical manuscript review

Nam Ky Nguyen

Statistical analysis, Study conception and design, Active participation in research supervision, Intellectual contribution to the diagnostic and/or therapeutic management of studied cases, Critical literature review, Critical manuscript review

Luat Thao Huynh

Approval of the final version of the manuscript, Study conception and design, Data collection, analysis, and interpretation, Active participation in research supervision, Intellectual contribution to the diagnostic and/or therapeutic management of studied cases, Critical manuscript review

Mai Huynh Truc Phuong

Approval of the final version of the manuscript

www.surgicalcosmetic.org.br/

Efficacy and safety of 85% phenol and 4% croton oil solution in the treatment of anogenital penile warts: a proof-of-concept study

Eficácia e segurança de solução de fenol 85% e óleo de cróton 4% no tratamento das verrugas anogenitais do pênis: um estudo tipo prova de conceito

DOI: http://www.dx.doi.org/10.5935/scd1984-8773.2025170334

ABSTRACT

IntroductIon: An 85% phenol and 4% croton oil solution (SFC) has cytotoxic effect on the epithelium; however, it has not been evaluated in the treatment of anogenital warts (AGW).

objectIve: To evaluate the effectiveness of SFC in the treatment of penile AGW in immunocompetent patients.

Methods: Open, uncontrolled clinical trial (proof-of-concept), involving patients with penile AGW treated with SFC and reevaluated after 28 days.

RESULTS: We evaluated 16 treatments in 9 participants. SFC promoted total clearance of the lesions in 25% (95% CI 2-48%) of treatments.

conclusIons: Although well tolerated, SFC caused insufficient rates of total clearance.

Keywords: Condylomata Acuminata; Phenol; Papillomavirus Infections; Sexually Transmitted Diseases.

Letters to the editor

Authors: Maria Cecília Belli1

Hélio Amante Miot1

Luis Eduardo Garbers1 Bruno Dias Mar timiano1

1 Unesp, Dermatology, Botucatu (SP), Brazil.

RESUMO

Introdução: solução de fenol 85% e óleo de cróton 4% (SFC) tem efeito citotóxico para o epitélio, porém não fora avaliada no tratamento das VAGs.

objetIvo: avaliar a eficácia da SFC no tratamento de VAGs penianas em imunocompetentes.

Métodos: ensaio clínico aberto, não controlado (prova de conceito), envolvendo portadores de VAGs tratados com SFC e reavaliados após 28 dias.

resultados: foram avaliados 16 tratamentos em nove participantes. A SFC promoveu o clareamento total das lesões em 25% (IC95%: 2-48%) dos tratamentos.

ConClusões: apesar de bem tolerada, a SFC apresentou taxas insuficientes de clareamento total.

Palavras-chaves: Condiloma Acuminado; Fenol; Infecções por Papillomavirus.

Correspondence: Hélio Amante Miot E-mail: heliomiot@gmail.com / helio.a.miot@unesp.br

Financial support: None. Conflicts of interest: None.

Submitted on: 18/12/2023

Approved on: 08/01/2023

How to cite this article:

Efficacy and safety of 85% phenol and 4% croton oil solution in the treatment of anogenital penile warts: a proof-of-concept study. Belli MC, Miot HA, Garbers LE, Martimiano BD. Surg Cosmetic Dermatol.2025;17:e20250334.

Dear editor,

Anogenital warts (AGWs) are epithelial proliferations caused by the human papillomavirus (HPV). It is the most common sexually transmitted infection (STI) in the world, with an estimated incidence rate varying between 160 and 289 new cases per 100,000 people per year.1

HPV types 6 and 11 are found in 90% of genital condylomas and are considered to be of low oncogenic risk. Different kinds of treatment have been described for AGWs, although no consensus has been reached on an absolute therapy, as they all imply recurrence and the need for multiple sessions. Topical treatment with phenol and croton oil solutions has demonstrated a cytotoxic and immunogenic effect on precancerous skin lesions, suggesting that it may be effective in the treatment of viral infections.2 The search for strategies to increase the therapeutic efficacy of AGWs is valuable and implies reduced costs for the health system.

The indications for use of this solution consist of its ability to perform deep peels, and its cytotoxic, immunogenic and viricidal effect, with excellent cost/benefit ratios.3 However, there is still a need for studies demonstrating the histological and clinical findings of this deep peel on AGWs and its effectiveness when compared to other approaches currently used.

This study aimed to investigate the efficacy and safety of 85% phenol and 4% croton oil in the treatment of penile STIs in immunocompetent men.

This open, non-controlled, proof-of-concept clinical trial was conducted between August 2022 and May 2023, involving 16 treatment in nine men seen at an STI outpatient clinic at the Unesp Hospital das Clínicas da Faculdade de Medicina de Botucatu (HCFMB).

The patients eligible for the study were immunocompetent, adult men who had STIs on the penis, diagnosed by physical examination or acetoscopy performed by a qualified dermatologist. A session of application of 85% phenol and 4% croton oil solution was conducted until the lesions were completely frosted. The AGWs were photographed before and after application of the solution and reassessed after 28 days. After this time, the result presented by each patient was classified as total lesion clearance or therapeutic failure. Some patients who presented lesions at the reassessment were included in the study again.

The primary outcome of the study was total lesion clearance on Day 28. The secondary outcomes were a lower lesion count and analysis of pain during application, which was assessed using the visual analog scale (VAS 0 to 10). The data were analyzed according to the protocol (per protocol), and cases that missed the follow-up on Day 28 were excluded. A p-value <0.05 was considered significant.

The rate of total clearance and lower lesion count was compared with the results of clinical trials conducted on the same population using treatment with 90% trichloroacetic acid and cryotherapy with liquid nitrogen (historical control).4,5

The sample for the pilot study phase was initially made up of 17 treatment on 10 consecutive participants, of whom it was hoped to find a total clearance rate of more than 30% after one session (proof-of-concept).

During the treatment, one participant was excluded from the study for not attending the follow-up on Day 28 after the first session. The study therefore ended with 16 treatment and nine participants.

Figure 1 shows the number of lesions on the day of application and the lesion count on Day 28. Figure 2 shows the quantification of pain, assessed using the VAS. There were no serious adverse effects and the treatment was well tolerated.

Figure 1: Count of penile anogenital warts before and after 28 days of treatment with 85% phenol and 4% croton oil solution (p=0.167)

Figure 2: Histogram of pain scores during application, as per the VAS

Surg Cosmet Dermatol. 2025;v.17: n.1 jan-mar. p.89-90.

Total lesion clearance occurred in 25% (95% CI: 2-48%) of cases per session, which was historically lower than treatment with liquid nitrogen in the same population (historical control).

In this feasibility study, total clearance of penile AGWs treated with 85% phenol and 4% croton oil solution occurred in 25% of treatment.

In studies with the same methodology and population, penile AGWs clearance after one session occurred in 23% (95%CI: 9-34%) of patients treated with trichloroacetic acid; 46% (95%CI: 31-59%) with liquid nitrogen; and 26% (95%CI: 11-37%) with the combination of nitrogen and trichloroacetic acid.4,5

The study has limitations because it is a single-center study, has not quantitatively assessed immunity, has not determined the subtype of the HPV virus in each patient, requires a clinical diagnosis of the lesions, and one individual was lost to follow-up. However, these elements have not prevented the evaluation of the performance of lesion clearance.

Although well tolerated and effective, the 85% phenol and 4% croton oil solution showed total clearance rates below 30%. l

REFERENCES:

1. Leto Md, Santos Júnior GF, Porro AM, Tomimori J. Human Papillomavirus Infection: etiopathogenesis, molecular biology and clinical manifestations. An Bras Dermatol. 2011;86(2):306-17.

2. Justo AS, Lemes BM, Nunes B, Antunes KA, Capote ACMO, Lipinski LC, et al. Characterization of the activity of croton tiglium oil in Hetter’s very heavy Phenol-Croton oil chemical peels. Dermatol Surg. 2021;47(7):944-946.

3. Wambier CG, Lin E, Costa Filha ARC, Beltrame FL, Döll-Boscardin PM, Celidonio TC, et al. Updates on level of evidence of clinical efficacy of facial Phenol-Croton oil peels and comments on history and mechanisms of action. Int J Dermatol. 2023;62(7):e383-e386.

4. Morita MM, Marcondes TSP, Haddad V, Miot HA. Cryosurgery with liquid nitrogen versus trichloroacetic acid in the treatment of Human Papillomavirus (HPV) penile wart: a randomized controlled trial. Surg Cosmet Dermatol. 2021;13:e20210041

5. Oliveira VC, Morita MM, Miot HA. Cryosurgery with liquid nitrogen combined with trichloroacetic acid 90% is not superior to individualized interventions in the treatment of anogenital warts. Surg Cosmet Dermatol. 2023;15:e20230217.

AUTHOR’S CONTRIBUTION:

Maria Cecília Belli

0009-0002-4003-1664

Approval of the final version of the manuscript; study design and planning; preparation and writing of the manuscript; data collection, analysis, and interpretation; active participation in research orientation; critical literature review; critical review of the manuscript.

Hélio Amante Miot

0000-0002-2596-9294

Statistical analysis; approval of the final version of the manuscript; study design and planning; preparation and writing of the manuscript; data collection, analysis, and interpretation; active participation in research orientation; intellectual participation in the propaedeutic and/or therapeutic conduct of the cases studied; critical literature review; critical review of the manuscript.

Luis Eduardo Garbers

0000-0001-5867-1454

Study design and planning; preparation and writing of the manuscript; active participation in research orientation; critical literature review; critical review of the manuscript.

Bruno Dias Martimiano 0009-0007-1683-7963

Approval of the final version of the manuscript; preparation and writing of the manuscript; data collection, analysis, and interpretation; active participation in research orientation; critical literature review; critical review of the manuscript.

www.surgicalcosmetic.org.br/

Tip for achieving hemostasis in the paramedian interpolation flap pedicle

Dica para hemostasia do pedículo do retalho interpolado paramediano

How do I do it?

Authors:

Felipe Maurício Soeiro Sampaio1 Isabela Coelho Guimarães2 Bruno Lopes da Silva Ramos3

1 Private Clinic, Dermatology, Rio de Janeiro (RJ), Brazil

DOI: http://www.dx.doi.org/10.5935/scd1984-8773.2025170342

ABSTRACT

Postoperative bleeding from the vascular pedicle of the paramedian flap is a common complication. We describe the use of simple sutures on the raw lateral surface of the pedicle as an alternative method to reduce this risk.

Keywords: Surgical Flaps; Carcinoma Basal Cell; Mohs Surgery; Hemorrhage.

RESUMO

O sangramento proveniente da área cruenta do pedículo do retalho paramediano é uma complicação frequentemente observada no pós-operatório. Descrevemos o uso de pontos simples na superfície lateral do pedículo como um método alternativo para reduzir essa complicação. Palavras-chave: Retalhos Cirúrgicos; Carcinoma Basocelular; Cirurgia de Mohs; Hemostasia Cirúrgica.

2 Dermatology, Hospital Federal de Bonsucesso, Rio de Janeiro (RJ), Brazil

3 Plastic Surgery, Hospital Municipal Barata Ribeiro, Rio de Janeiro (RJ), Brazil

Correspondence:

Felipe Maurício Soeiro Sampaio E-mail: felipesoeirodermato@ gmail.com

Financial support: None. Conflicts of interest: None.

Submitted on: 01/15/2024

Approved on: 03/11/2024

How to cite this article: Sampaio FMS, Guimarães IC, Ramos BLS. Tip for achieving hemostasis in the paramedian interpolation flap pedicle. Surg Cosmet Dermatol. 2025;17:e20250342.

INTRODUCTION

Postoperative bleeding from the raw area of the vascular pedicle of the paramedian flap is a common complication. Electrocoagulation of the raw portion of the pedicle, as well as the use of skin grafts and porcine xenografts, are described methods aimed at reducing postoperative bleeding.1 Wrapping the pedicle with oxidized regenerated cellulose-impregnated gauze,² an-

tibiotic ointment-impregnated gauze,³ or Vaseline-impregnated gauze⁴ at the raw surface of the flap has also been reported, with some positive results. We describe the use of simple interrupted sutures on the lateral surface of the pedicle as an alternative method to reduce this complication.

2: A simple interrupted suture joining the upper part (skin) and lower part (fascia) of the pedicle

Sampaio FMS, Guimarães IC, Ramos BLS.
Figure 1: The raw surface of the pedicle of the paramedian flap
Figure

Surg Cosmet Dermatol. 2025;v.17: n.1 jan-mar. p.91-4.

Figure 3: Suture reducing the raw surface of the pedicle and minimizing the risk of bleeding

METHODS

Immediately after completing nasal reconstruction with the paramedian flap, the surgeon should carefully observe the raw area of the pedicle to identify potential bleeding points (Figure 1). Once identified, a simple interrupted suture with 6-0 monofilament nylon is performed. The needle is inserted through the skin at the upper part of the pedicle and reinserted into the fascia at the lower part (Figure 2). This suture brings the skin closer to the fascia, locally reducing the raw surface of the pedicle and consequently minimizing the risk of bleeding (Figure 3). On average, four sutures are placed on each side of the pedicle, depending on the length of the flap and the presence

of bleeding points. No vascular compromise or congestion has been observed in the distal part of the flap using this technique. The dressing is applied only after hemostasis has been reassessed.

CONCLUSION

The use of simple interrupted stitches on the lateral surface of the paramedian interpolation flap pedicle is a simple, safe, and easy-to-perform technique. It provides a comfortable postoperative period for both the patient and the surgical team, reduces the need for dressings, minimizes comorbidities, and is low cost. l

REFERENCES:

1. Viscusi KS, Merritt B. Porcine xenografts for the optimization of pedicle care in interpolation flaps. Dermatol Surg. 2014;40(11):1262-5.

2. Christenson LJ, Otley CC, Roenigk RK. Oxidized regenerated cellulose gauze for hemostasis of a two-stage interpolation flap pedicle. Dermatol Surg. 2004;30(12 Pt 2):1593-4.

3. Brodland D. Paramedian forehead flap reconstruction for nasal defects. Dermatol Surg. 2005; 31:1046–52.

4. Goldman GD, Dzubow LM, Yelverton CB. Facial flap surgery. Burlington (VT): McGraw-Hill; 2012.

AUTHOR’S CONTRIBUTION:

Felipe Maurício Soeiro Sampaio 0000-0002-2235-5473

Statistical analysis; approval of the final version of the manuscript; study design and planning; manuscript preparation and writing; data collection, analysis, and interpretation; active participation in research supervision; intellectual contribution to the conduct of the preoperative and/or therapeutic management of the studied cases; critical review of the literature; critical review of the manuscript.

Isabela Coelho Guimarães 0009-0002-8142-6072

Manuscript preparation and writing; critical review of the literature.

Bruno Lopes da Silva Ramos 0009-0008-1148-211X

Approval of the final version of the manuscript; intellectual contribution to the conduct of the preoperative and/or therapeutic management of the studied cases; critical review of the literature.

www.surgicalcosmetic.org.br/

Correction of facial asymmetry following fat grafting with the application of fat-dissolving injections

Correção de assimetria facial após implante de gordura através da aplicação de substâncias injetáveis lipolíticas

Case report

Authors: Andrea Carvalho Souza1

Carlos Roberto Antonio2 Lívia Arroyo Trídico2

1 Dermatology, Salvador (BA), Brazil

2 Faculdade de Medicina de São Jose do Rio Preto, Dermatology, São Jose do Rio Preto (SP), Brazil

DOI: http://www.dx.doi.org/10.5935/scd1984-8773.2025170272

ABSTRACT

Autologous fat grafting is a common option for the correction of facial asymmetry. Recently, therapies using injectable substances that promote lipolysis have emerged to reduce undesired fat volume, offering an alternative to surgical removal of adipose tissue. We report an experimental case in which fat-dissolving injections were used to correct facial asymmetry following fat grafting, demonstrating satisfactory results with a minimally invasive procedure.

Keywords: Facial Asymmetry; Adipose Tissue, Subcutaneous; Mesotherapy.

Correspondence: Lívia Arroyo Trídico E-mail: latridico@gmail.com / ladermat@gmail.com

RESUMO

O lipoenxerto autólogo é uma opção para correção de assimetria facial. Recentemente, surgiram terapias que utilizam injeções de substâncias que promovem lipólise para reduzir o volume indesejado de gordura, substituindo a necessidade de cirurgia para remoção do tecido adiposo. Relatamos a seguir um caso de tratamento experimental com ativos lipolíticos injetáveis para correção de assimetria facial após cirurgia de transplante de gordura, demonstrando resultado satisfatório com procedimento minimamente invasivo.

Palavras-chave: Assimetria Facial; Gordura Subcutânea; Mesoterapia.

Funding support: None. Conflicts of interest: None.

Submitted on: 27/06/2023 Approved on: 22/10/2024

How to cite this article: AC, Antonio CR, Trídico LA. Correction of facial asymmetry following fat grafting with the application of fat-dissolving injections. Surg Cosmet Dermatol; 2025;17:e20250272.

INTRODUCTION

Facial fat grafting is a procedure used to correct congenital and acquired craniofacial anomalies, as well as signs of aging and photodamage. It is a therapeutic option in regenerative, reconstructive, and aesthetic medicine that offers optimal and long-lasting results. In the field of facial reconstruction, fat grafts have been increasingly used for the correction of congenital anomalies, Parry-Romberg syndrome, hemifacial microsomia, post-traumatic deformity, or defects caused by skin cancer surgery. Thus, these grafts play a role not only in restoring anatomical structures but also in addressing the functional aspects of the face.1

The success of lipofilling in surgical practice should consider not only fat graft retention but also effective augmentation at the recipient site and its clinical outcomes. In fact, increased soft tissue thickness or fat content due to graft retention is not necessarily accompanied by a symmetric and aesthetically pleasing result. Therefore, surgical treatment may often result in under- or overcorrection.2

Injectable agents can be used to reduce moderate fat accumulation by promoting lipolysis, offering a nonsurgical option for facial or body contour treatment. These treatments are commonly referred to as injection lipolysis or mesotherapy.3,4 The dissolution of subcutaneous fat through injections has become more common over the past decades, and several studies have reported the efficacy of phosphatidylcholine, deoxycholate, L-carnitine, vitamin E, collagenase, hyaluronidase, and isoproterenol, among others.5

Considering the therapeutic challenge of achieving facial symmetry with fat grafting, we report, for the first time in the literature, the experimental use of injectable lipolytic agents to improve surgical outcomes and ensure greater patient satisfaction in a case of facial asymmetry.

CASE REPORT:

A 59-year-old woman with no known comorbidities presented with a history of right hemifacial atrophy affecting the middle and lower thirds of the face, characterized by stable skin and subcutaneous fat atrophy since the age of 27. No defined cause, trauma, or local disease had been diagnosed. Physical and skin examinations were unremarkable, and there was no evidence of bone or neurological abnormalities. The patient had previously undergone facial fat grafting, involving the harvest of abdominal fat and its transfer to the right side of the face, by a plastic surgeon. One year after the procedure, she reported increased volume in the recipient site, resulting in facial asymmetry.

Magnetic resonance imaging (MRI) of the face revealed adipose tissue accumulation in the mental region of the right side of the face, extending to the mandibular and lower eyelid regions. The findings also showed thin intervening septa, with no evidence of expansive formations. The left side of the face appeared normal (Figure 1).

Figure 1: Magnetic resonance imaging of the face. Asymmetric increase in subcutaneous fatty tissue in the right side, extending to the maxillary region

To address the surgical overcorrection, a combination of lipolytic and antioxidant agents was administered to reduce fat volume in the right side of the face. The product used was Toskani Silhouette Cocktail®, a solution containing lipolytic agents (caffeine and L-carnitine) and antioxidants (extracts of Centella asiatica, artichoke, pineapple, and green tea). It has been approved by the Brazilian Health Regulatory Agency for topical use (registration number 25351.147646/2023-03), but in this case, it was administered subcutaneously in an off-label manner as part of an experimental treatment.

The treatment consisted of 9 sessions conducted at 15day intervals. In the first four sessions, 3.2 mL of the solution was administered, with 0.1 mL injected per point at 1 cm intervals using a 30 G needle (0.30 mm × 13 mm). The injections were performed at a depth of 4–6 mm and at a 45° angle to target the subcutaneous plane. After the fourth session, two vials of hyaluronic acid were strategically injected at target areas using the Delta V Lifting® technique.6 The remaining five sessions involved administering 2.5 mL of the solution, with injections distributed at the same volume and spacing (0.1 mL per injection at 1 cm intervals).

Treatment resulted in a marked reduction of the surgical overcorrection, with noticeable improvements in fat volume and a smoother texture upon palpation (Figure 2). Follow-up MRI revealed reduced adipose tissue accumulation compared to the previous exam and a more symmetrical fat distribution (Figure 3). Enhanced facial symmetry was noticeable, and the patient reported high satisfaction with the outcomes. Results were maintained during a 12-month follow-up period, with no adverse effects observed.

The patient provided informed consent for the proposed experimental treatment. No fees were charged for the procedure. The study was submitted to and approved by the Research Ethics Committee.

3: Magnetic resonance imaging performed before (left) and after (right) treatment. There is visible reduction in the thickness of the graft in its anterior portion, along with a more symmetrical distribution. Signs of hyaluronic acid filler in the subcutaneous tissue of the anterior and lateral regions of the face bilaterally Surg Cosmet Dermatol.

patients who underwent fat grafting to correct unilateral facial asymmetry and showed that despite significant improvement in facial symmetry and contour, a substantial subset of patients required additional procedures.2

Recently, injectable treatments have emerged as nonsurgical options to reduce undesired facial or body fat.3 Subcutaneous injections capable of reducing modest adipose tissue accumulation are known as lipolysis injections or mesotherapy.12,13

The Toskani Silhouette Cocktail® used in this study contains two lipolytic agents, caffeine, and L-carnitine, which mobilize accumulated fat for metabolic breakdown. Caffeine promotes lipolysis by increasing cyclic adenosine monophosphate levels through phosphodiesterase inhibition, in addition to increasing catecholamine (epinephrine) release via the sympathetic nervous system. L-carnitine is an amino acid essential for fatty acid metabolism, reducing triglycerides and cholesterol, increasing lipid oxidation, and facilitating the deliver of long-chain free fatty acids for mitochondrial oxidation.14,15 The other components of the Toskani Silhouette Cocktail®, such as Centella asiatica, artichoke, pineapple, and green tea extracts, act as antioxidants, enhancing the effects of the lipolytic agents and assisting in fat elimination.15

The use of lipolytic agents, also referred to as “emptiers,” is well-documented in the literature, primarily for body fat treatment.16 Although there are studies on their use for facial fat reduction, this case report is the first to describe the application of lipolytic agents in a facial fat graft. Toskani Silhouette Cocktail® allowed the correction of a surgical procedure in a less invasive and safer manner, yielding satisfactory results.15,17

CONCLUSION:

The injection of lipolytic agents to correct facial asymmetry following fat grafting, as described in this experimental case report, demonstrated satisfactory results with the use of a minimally invasive procedure. Although the use of facial fat “emptiers” is relatively new, this study also demonstrated their applicability in reconstructive facial procedures with excellent outcomes. l

DISCUSSION:

Perfect bilateral symmetry rarely exists in human faces, as certain degrees of asymmetry and deviations are considered normal.⁷ When facial asymmetry is clinically evident, successfully restoring facial contour symmetry is particularly challenging.8,9

Fat grafting is one of the therapeutic options for correcting facial asymmetry. It is a labor-intensive procedure that has revolutionized reconstructive and aesthetic surgery since its first description in 1893.1,10,11 Denadai et al. (2020) followed 167

Figure 2: Before (left) and after (right) treatment. There is visible improvement in fat volume in the right side of the face
Figure

REFERENCES:

1. Egro FM, Coleman SR. Facial fat grafting: the past, present, and future. Clin Plast Surg. 2020;47(1):1-6.

2. Denadai R, Buzzo CL, Raposo-Amaral CA, Raposo-Amaral CE. Facial contour symmetry outcomes after site-specific facial fat compartment augmentation with fat grafting in facial deformities. Plast Reconstr Surg. 2019;143(2):544- 556.

3. Rotunda, AM. Injectable treatments for adipose tissue: terminology, mechanism, and tissue interaction. Lasers Surg Med.2019;41:714-720

4. Matarasso A, Pfeifer TM. Mesotherapy and injection lipolysis. Clin Plast Surg 2009;36:181-192.

5. Thomas MK, D'Silva JA, Borole AJ. Injection lipolysis: a systematic review of literature and our experience with a combination of phosphatidylcholine and deoxycholate over a period of 14 years in 1269 patients of Indian and South East Asian origin. J Cutan Aesthet Surg. 2018;11(4):222-228.

6. Antonio CR, Trídico LA, Esteves ALV. Nova técnica de rejuvenescimento facial com ácido hialurônico: delta V lifting. Surg Cosmet Dermatol. 2019;11(3):211-215.

7. Lu SM, Bartlett SP. On facial asymmetry and self-perception. Plast Reconstr Surg. 2014;133:873e-881e

8. Mulliken JB. The molders of this plastic surgeon and his quest for symmetry. J Craniofac Surg. 2004;15:898-908.

9. Cheong YW, Lo LJ. Facial asymmetry: etiology, evaluation, and management. Chang Gung Med J. 2011;34:341-351

10. Neuber GA. Fettransplantation. Chir Kongr Verhandl Dsch Gesellch fur Chir. 1893:22:66.

11. Saha S. Enxerto de gordura composta para correção de distrofia facial em caso de esclerodermia localizada. Surg Cosmet Dermatol. 2023;15:e20230181.

12. Matarasso A, Pfeifer TM. Mesotherapy and injection lipolysis. Clin Plast Surg 2009;36:181-192.

13. Duncan D, Rubin JP, Golitz L, Badylak S, Kesel L, Freund J, et al. Refinement of technique in injection lipolysis based on scientific studies and clinical evaluation. Clin Plast Surg 2009;36:195-209.

14. Kutlubay Z. Evaluation of mesotherapeutic injections of three different combinations of lipolytic agents for body contouring. J Cosmet Laser Ther. 2011;13(4):142-53.

15. Antonio CR, Trídico LA. Drug injcetion to reduce facial fat. J Clin Dermatol Ther. 2021;7:082.

16. Rittes PG. The use of phosphatidylcholine for correction of localized fat deposits. Aesthetic Plast Surg. 2003;27:315-8.

17. Talathi A, Talathi P. Fat busters: lipolysis for face and neck. J Cutan Aesthet Surg. 2018;11(2):67-72.

AUTHOR’S CONTRIBUTION:

Andrea Carvalho Souza 0009-0000-0973-0024

Intellectual participation in propaedeutic and/or therapeutic conduct of studied cases.

Carlos Roberto Antonio 0000-0001-9243-8293

Study design and planning, effective participation in research guidance, intellectual participation in propaedeutic and/or therapeutic conduct of studied cases, critical review of the manuscript.

Lívia Arroyo Trídico 0000-0002-7743-4195

Study design and planning, preparation and writing of the manuscript, critical review of the literature, critical review of the manuscript.

www.surgicalcosmetic.org.br/

Tratamento da foliculite decalvante com laser de Erbium-YAG

Treatment of Folliculitis Decalvans with Erbium-YAG Laser

DOI: http://www.dx.doi.org/10.5935/scd1984-8773.2025170308

ABSTRACT

Folliculitis decalvans (FD) is a neutrophilic cicatricial alopecia characterized by erythematous follicular papules and pustules associated with follicular hyperkeratosis and tufted folliculitis. Here, we report the case of a 35-year-old man with recalcitrant FD successfully treated with Erbium-Yag (Er:YAG) laser, showing a rapid response and no hair loss. The effects on fibroblasts, skin microbiota, immune cascade, and angiogenesis are mechanisms through which the Er:YAG may improve FD, promoting hair growth and reducing hyperkeratosis. Nonetheless, further clinical studies are needed to investigate and better define its benefits.

Keywords: Laser Therapy; Folliculitis; Solid-State Lasers.

RESUMO

A foliculite decalvante (FD) é uma alopecia cicatricial neutrofílica caracterizada por papulopústulas foliculares eritematosas associadas à hiperqueratose folicular e à foliculite em tufos. Nosso objetivo é apresentar o caso de um homem de 35 anos de idade com FD recalcitrante, tratada com sucesso com laser de Erbium-YAG (Er:YAG), com resposta rápida e sem perda capilar. As ações sobre fibroblastos, microbiota da pele, cascata imunológica e angiogênese são mecanismos pelos quais o Er:YAG pode melhorar a FD, favorecendo o crescimento capilar e reduzindo a hiperqueratose. Ainda assim, mais estudos clínicos são necessários para investigar e definir melhor seus benefícios. Palavras-chave: Terapia a Laser; Foliculite; Lasers de Estado Sólido.

Case report

Authors:

Ana Clara Maia Palhano1

Heloise Marangoni1

Daniel Simão de Andrade1

Thaisa Bosquiroli Brandalize1

Rossana Cantanhede Farias de Vasconcelos1

1 Universidade de Santo Amaro, Department of Dermatology, São Paulo (SP), Brazil

Correspondence: E-mail: anaclaramaiapalhano@ hotmail.com

Financial support: None. Conflicts of interest: None.

Submitted on: 06/12/2023

Approved on: 15/08/2024

How to cite this article: Palhano ACM, Marangoni H, Andrade DS, Brandalize TB, Vasconcelos RCF. How to cite: Palhano ACM, Marangoni H, Andrade DS, Brandalize TB, Vasconcelos RCF. Treatment of folliculitis decalvans with Erbium-YAG laser. Surg Cosmet Dermatol. 2025;17:e20250327.

INTRODUCTION

Folliculitis decalvans (FD) is a neutrophilic cicatricial alopecia characterized by erythematous follicular papules and pustules associated with follicular hyperkeratosis and tufted folliculitis.1 There is primary involvement of the vertex and occipital scalp, but the beard area and nape may also be affected.1 Its etiology involves bacterial infection, particularly Staphylococcus aureus, and a genetic predisposition has also been suggested. Biopsy should be taken from the active margin of alopecia, and early-stage findings typically include interfollicular acanthosis, loss of sebaceous glands, and fibrosis with follicular infundibula showing thickened interfollicular keloid-like areas. The initial infiltrate is characterized by intrafollicular and perifollicular neutrophils, later evolving into a mixed inflammatory infiltrate composed of neutrophils, lymphocytes, and plasma cells with inflammatory granulomas.2 There is also significant loss of elastic tissue throughout the dermis and often the presence of Staphylococcus aureus.2 Treatment mainly involves therapies with antibiotics, tacrolimus ointment, systemic isotretinoin, human immunoglobulin, radiotherapy, adalimumab, infliximab, and, among other less commonly used but reported therapies, photodynamic therapy (PDT), oral steroids, cyclosporine, methotrexate, and hydroxychloroquine.3 Regarding technologies, the use of long-pulsed Nd:YAG laser for hair removal has been described, as well as the use of PDT combined with carbon dioxide (CO2) laser.4-7

Here, we report the case of a 35-year-old man with recalcitrant FD successfully treated with Er:YAG laser, demonstrating a rapid response with no hair loss.

CASE REPORT

A 35-year-old man with a 14-year history of FD, who had been treated with 0.1% clobetasol scalp solution, 10% benzoyl peroxide gel, intralesional administration of betamethasone dipropionate, and multiple oral antibiotics, including sulfamethoxazole + trimethoprim and doxycycline, presented to us highly dissatisfied. He displayed erythematous follicular papules and pustules, multiple fibrous papules, nodules, and tufted hair in the vertex and occipital scalp, despite prolonged use of medications (Figure 1). Together with the patient, we decided to perform treatment with ablative fractional Er:YAG laser combined with drug delivery of triamcinolone hexacetonide 20 mg/ mL over the entire folliculitis area and, in the same session, an infiltration of 1 mL of triamcinolone acetate 20 mg/mL in the keloids. The Solon® platform was used, and the Er:YAG laser parameters were set at 10 J/cm², 2 ms, and 2 Hz. In total, 3 sessions were performed with monthly intervals. After 3 months, the patient exhibited significant improvement and stability in his clinical condition (Figure 2), with no need for further treatment.

DISCUSSION

Treatment of recalcitrant FD with long-pulsed Nd:YAG laser aimed at hair removal has shown good responses.5,6 A recent case report also documented a positive response to the use of PDT combined with CO2 laser.4 We proposed treatment with Er:YAG laser because, unlike other therapies, it does not result in permanent alopecia and has several mechanisms for improving FD: acts on the potentially involved bacterial microbio-

Figure 1: Before treatment with Er:YAG laser: erythematous follicular papules and pustules, multiple fibrotic papules and nodules, and tufted hair in the vertex and occipital scalp

Figure 2: After treatment with Er:YAG laser: improvement in papules and pustules and scarce areas of fibrotic papules

Palhano ACM, Marangoni H, Andrade DS, Brandalize TB, Vasconcelos RCF.

me; increases duration of the transition between the catagen and anagen phases; enhances permeation through the microchannels of drug delivery; and, finally, improves follicular hyperkeratosis, healing, and tissue regeneration.

The Er:YAG laser is known for promoting collagen production and dermal reconstruction.8 In vitro studies have shown that the laser increases fibroblast adhesion, with cells appearing more spindle-shaped and elongated on treated surfaces.9 Its use is well established in the treatment of acne scars due to its 2,940 nm wavelength, which has a high affinity for the water chromophore, allowing for the superficial ablation of the epidermis.8 Another mechanism by which the Er:YAG laser acts is its beneficial effect in skin microbiota regulation through the creation of acoustic waves strong enough to abruptly disintegrate the bacterial cell wall.9 Given that scarring fibrosis caused by activated fibroblasts and bacterial infection, primarily by Staphylococcus aureus, are the main pathophysiological mechanisms related to FD, the Er:YAG laser appears to be a potentially beneficial therapy in the therapeutic arsenal for this disease.9, 10

It is also known that the Er:YAG laser increases hair growth by upregulating ß-catenin and Wnt 10b expression, promoting the transition of the hair cycle from the catagen and telogen phases to the anagen phase, which begins significantly earlier in treated patients.11,12 Moreover, the formation of small columns of thermal injury enhances the absorption of topical medications, with complete re-epithelialization occurring within 48 hours, as demonstrated in histology. Fractional photothermolysis also

induces micro-coagulative trauma on the papillary dermis, promoting healing factors that promote hair growth, such as vascular endothelial growth factor (VEGF) and fibroblast growth factor 7 (FGF7).13,14 Thus, it has already been shown to provide benefits in noncicatricial alopecia such as androgenetic alopecia and alopecia areata.14 The benefits of the microchannels can be extrapolated to our case, resulting in increased delivery of topical corticosteroid.

The application of Er:YAG laser for acne has also demonstrated good results due to its photothermal effect acting on follicular hyperkeratosis and skin microbiome modulation.15,16 Considering that hyperkeratosis is also present in FD, this may be an additional reason for the improvement of the disease. Furthermore, it has been demonstrated that Er:YAG laser therapy modulates the immune response as a stress defense process, particularly regarding the Cxcl-1 protein. This protein plays a role in the angiogenesis of human endothelial cells, enhancing tissue healing and regeneration, as seen in FD.17

CONCLUSION

The Er:YAG laser exhibits multiple mechanisms of action that can benefit the pathophysiology of FD, including effects on fibroblasts, skin microbiota, immune cascade, and angiogenesis, as well as hair growth and improvement of hyperkeratosis. We reported a case of FD with rapid improvement and no hair loss using Er:YAG laser. Further clinical studies are necessary to better define its benefits. l Surg Cosmet Dermatol. 2025;v.17: n.1

Palhano ACM, Marangoni H, Andrade DS, Brandalize TB, Vasconcelos RCF.

REFERENCES:

1. Cummins DM, Chaudhry IH, Harries M. Scarring alopecias: pathology and an update on digital developments. Biomedicines. 2021;9:1755.

2. Uchiyama M, Harada K, Tobita R, Irisawa R, Tsuboi R. Histopathologic and dermoscopic features of 42 cases of folliculitis decalvans: a case series. J Am Acad Dermatol. 2021;85(5):1185-1193.

3. Rambhia PH, Conic RRZ, Murad A, Atanaskova-Mesinkovska N, Piliang M, Bergfeld

4. W. Updates in therapeutics for folliculitis decalvans: a systematic review with evidence- based analysis. J Am Acad Dermatol. 2019;80(3):794801.

5. Rózsa P, Varga E, Gyulai R, Kemény L. Carbon-dioxide laser-associated PDT treatment of folliculitis decalvans. Int J Dermatol. 2024;63(9):12561257.

6. Meesters AA, Van der Veen JW, Wolkerstorfer A. Long-term remission of folliculitis decalvans after treatment with the long-pulsed Nd:YAG laser. J Dermatolog Treat. 2013;25(2):167–168.

7. Horowitz MR, França ER, Cavalcanti SMM. Treatment of folliculitis decalvans with Nd:YAG laser. Surg Cosmet Dermatol. 2013;5(2):1702.

8. Parlette EC, Kroeger N, Ross EV. Nd:YAG laser treatment of recalcitrant folliculitis decalvans. Dermatol Surg. 2004;30(8):1152–1154.

9. Cenk H, Hulya S, Sarac G. Effectiveness and safety of 2940nm multifractional Er:YAG laser on acne scars. Dermatol Ther. 2020.

10. Pham CM, Chen CY, Kim DM. The effects of using erbium, chromium-doped: yttrium-scandium-gallium-garnet laser on the surface modification, bacterial decontamination, and cell adhesion on zirconia discs: an in vitro study. Lasers Med Sci. 2021;36(8):1701–1708.

11. Chiarini C, Torchia D, Bianchi B, Volpi W, Caproni M, Fabbri P. Immunopathogenesis of folliculitis decalvans. Am J Clin Pathol. 2008;130(4):526–534.

12. Perper M, Aldahan AS, Fayne RA, Emerson CP, Nouri K. Efficacy of fractional lasers in treating alopecia: a literature review. Lasers Med Sci. 2017;32(8):1919–1925.

13. Ke J, Guan H, Li S, Xu L, Zhang L, Yan Y. Erbium: YAG laser (2,940 nm) treatment stimulates hair growth through upregulating Wnt 10b and β-catenin expression in C57BL/6 mice. Int J Clin Exp Med. 2015;8(11):20883–20889.

14. Jean-Pierre P, Pulumati A, Kasheri E, Hirsch M, Nouri K. Lasers in the management of alopecia: a review of established therapies and advances in treatment. Lasers Med Sci. 2024;39(1).14.

15. Tanakol A, Oba MC, Uzuncakmak TK, Askin O, Kutlubay Z. Treatment of alopecia areata with 2940‐nm fractional erbium: yttrium‐aluminum‐garnet laser. Dermatol Ther. 2020;33(6).

16. Guida S, Lippolis N, Giovani M, Pedroni G, Urtis GG, Pellacani G, et al. Ablative fractional erbium: YAG laser resurfacing: a treatment option for acne. Dermatol Pract Concept. 2022;12(1):e2022024.

17. Cenk H, Sarac G. Effectiveness and safety of 2940-nm multifractional Er:YAG laser on acne scars. Dermatol Ther. 2020;33(6).

18. Ansari M, Rezaei-Tavirani M, Hamzeloo-Moghadam M, Vafaee R, Razzaghi M, Nikzamir M, et al. Assessment of immunological effects of low-level ER: YAG Laser Radiation. J Lasers Med Sci.2022;13:e25.

AUTHOR’S CONTRIBUTION:

Ana Clara Maia Palhano 0000-0002-0404-6482

Approval of the final version of the manuscript; preparation and writing of the manuscript; data collection, analysis, and interpretation; intellectual participation in propaedeutic and/or therapeutic conduct of studied case; critical review of the literature; critical review of the manuscript

Heloise Marangoni 0009-0003-8985-321X

Approval of the final version of the manuscript; preparation and writing of the manuscript.

Daniel Simão de Andrade 0009-0003-4002-5288

Approval of the final version of the manuscript; critical review of the manuscript.

Thaisa Bosquiroli Brandalize 0009-0002-8458-501X

Approval of the final version of the manuscript; critical review of the manuscript.

Rossana Cantanhede Farias de Vasconcelos 0000-0002-6185-1840

Approval of the final version of the manuscript; preparation and writing of the manuscript; effective participation in research orientation; critical review of the manuscript.

www.surgicalcosmetic.org.br/

Z-plasty, an option for reconstructing two synchronous nasal defects: a case report

Zetaplastia: uma opção para reconstrução de dois defeitos sincrônicos nasais – relato de caso

Case report

Authors:

Raul Ribeiro Garcia1

Luis Felipe Stella Santos1

Guilherme Basso Durães1

Lissa Shizue Tateiwa Niekawa1

Rogerio Nabor Kondo1

DOI: http://www.dx.doi.org/10.5935/scd1984-8773.2025170340

ABSTRACT

Z-plasty, a versatile surgical technique, skillfully addresses diverse needs in dermatological surgeries, especially the lengthening, dispersion, and realignment of scars through relaxed skin tension. We report a case of two synchronous defects after excising nasal squamous cell carcinomas using the Z-plasty technique, highlighting its simplicity, adaptability and esthetics.

Keywords: Carcinoma Squamous Cell; Surgical Flaps; Nose; Case Reports.

RESUMO

A zetaplastia é uma técnica cirúrgica versátil que permite abordar diversas necessidades em cirurgias dermatológicas, especialmente no alongamento, dispersão e realinhamento de cicatrizes dentro da tensão cutânea relaxada. Relatamos um caso de dois defeitos sincrônicos após a excisão de carcinomas espinocelulares nasais, tratados com a técnica de zetaplastia, destacando sua simplicidade, adaptabilidade e resultado estético. Palavras-chave: Carcinoma de Células Escamosas; Retalhos Cirúrgicos; Nariz; Relatos de Casos.

1 Universidade Estadual de Londrina, Medical Clinic, Londrina (PR), Brazil

Correspondence: Rogerio Nabor Kondo

E-mail: kondo.dermato@gmail.com kondo.dermato@uel.br

Financing: None. Conflicts of interest: None.

Submitted on: 01/10/2024

Final decision: 03/11/2024

How to cite this article: Garcia RR, Santos LFS, Durães GB, Niekawa LST, Kondo RN. Z-plasty, an option for reconstructing two synchronous nasal defects: a case report. Surg Cosmet Dermatol. 2025;17:e20250340.

Garcia RR, Santos LFS, Durães GB, Niekawa LST, Kondo RN.

INTRODUCTION

Due to their nature, skin neoplasms can represent an intrinsic challenge to optimal esthetic results. Squamous cell carcinoma, the second most common type of skin cancer, may require specific care in the context of reconstructive surgery1, mainly in the nasal region, where realignment of the scar is essential due to high esthetic demand.

The difficulties increase when two or more synchronous squamous cell carcinomas occur in the nasal region, because this highly visible location can become distorted due to a lack of local elasticity. Previous reports have been published on the use of Z-plasty for reconstructions involving simultaneous lesions (intraclavicular region)2 and Burrow’s triangle advancement (nasal region)3, resolving the resulting defects with good results. We present the case of a patient with two synchronous squamous cell carcinomas in the nasal region occurring on the right and left sides at different levels (middle third and tip). Reconstruction with Z-plasty was used instead of advancement, with good esthetic and functional results.

CASE REPORT

A 79-year-old woman with Fitzpatrick classification 3, asthma, systemic arterial hypertension, and type 2 diabetes mellitus presented an 8-mm papule and a 12-mm plaque, erythematous, with scaly surfaces on the right sidewall and the left side of the nasal tip, respectively. Histopathological examinations of incisional biopsies of both lesions showed proliferation of atypical keratinocytes affecting the entire epidermis and invading the lamina propria, confirming two moderately differentiated squamous cell carcinomas.

DESCRIPTION OF THE TECHNIQUE

-With the patient in dorsal decubitus, a surgical pen is used to mark the two lesions with 4 mm margins (Figure 1)

- Antisepsis is performed with 10% topical povidone-iodine

- The surgical fields are placed

-Infiltrative local anesthesia is administered with 2% lidocaine with vasoconstrictor

-A circular incision is made with a no. 15 scalpel blade based on prior marking on the right sidewall and complete excision of the squamous cell carcinoma, causing defect 1

-A circular incision is made with a no. 15 scalpel blade based on prior marking on the left lateral nasal tip and complete excision of the squamous cell carcinoma, causing defect 2

-Defects 1 and 2 are joined with a diagonal incision (Figure 2)

- The skin around the defects is detached for better flap movement

- The flaps are transposed, followed by synchronous closure of both defects (Figure 3)

- 5.0 nylon monofilament sutures are angled at 60-75 degrees between the incisions at the end and the center (Figure 4)

- The wounds are cleaned with saline solution

- The wounds are dressed with gauze.

RESULTS

The esthetic results were satisfactory, with good healing and no trapdoor deformity or signs of postoperative infection (Figure 5). Histopathological examinations of the excision of both lesions showed squamous cell carcinoma with tumor-free surgical margins.

Figure 1:

A - Surgical marking of the squamous cell carcinoma on the right nasal sidewall. B - Surgical marking of the squamous cell carcinoma on the left nasal tip, with a line connecting the two defects

DISCUSSION

Z-plasty is a well-known plastic surgery technique. Although many forms of the procedure have been described in the literature, the most common purposes are: a) scar lengthening; b)scar reduction; or c) to scar realignment through relaxed skin tension.

Z-plasty is known for its versatility, since it can be applied to various parts of the body, such as the fingers, nose, chest, palate, malar region, ears, etc. Although initially described by Fricke & Horner in Philadelphia in the mid-1800s, McCurdy (18981924) popularized the technique, with the first contemporary record of Z-plasty authored by Berger in 1904.4

Skin tissue losses in the nasal region are challenging for plastic surgeons due to the lack of elasticity in some areas. The nasal subunits, which were described by Burget & Menick,5 are

A Bseparated by differences in elasticity, color, contour, and tissue type. This description revolutionized nasal reconstruction, including the development of the best flap or graft proposals for each region (Figure 6).

Different techniques for the nasal region have been described in the literature. A Brazilian cross-sectional study analyzed 103 nasal skin flaps used for reconstruction in oncological surgery6, with 21.6% of the cases in the bridge region and 12.7% in the tip region. In the bridge region, the most common technique was the extended glabellar flap, followed by bilobed and

Figure 2: Surgical defect
Figure 3: The flaps are transposed
Figure 4: A - Main sutures. B - Sutured flap

A B

Figure 5: Patient 1 week postoperatively.

A - With sutures.

B - After suture removal

Figure 6: Nasal subunits. Source: Adapted from Berget & Menick

Figure 7: Diagram showing the difference between Burrow’s triangle advancement and transposition flaps. In the advancement type, flap A advances over defect 2 and flap B advances towards defect 1. In the transposition type, flap B is transposed over A, closing defect 2, while flap A is transposed over B, closing defect 1. Source: Schematic drawing by the corresponding author

RR, Santos LFS, Durães GB, Niekawa LST, Kondo RN.

Surg Cosmet Dermatol. 2025;v.17: n.1 jan-mar. p.103-7.

rhomboid flaps. In the tip region, the bilobed flap was the most common, followed by extended glabellar and rhomboid flaps. However, the vast majority of cases only involved a single lesion.

However, the present case involved two synchronous lesions. We opted for Z-plasty instead of Burrow’s triangle advancement,3 due to the better adjustment when transposing the flap, which avoids nasal distortion, since the resulting defects were on opposite sides and at different levels (middle third and nasal tip), i.e., they involved different subunits (the difference between the two flap types is illustrated in figure 7).

Z-plasty orchestrates defect coverage by transposing the first flap to the required area, while the second flap serves the dual purpose of closing the donor site for the first flap and realigning the scar.2 Due to similarity in color and texture, the flaps may be preferable for repairing tissue loss. Because it is versatile

and simple to perform in a single surgical procedure, Z-plasty may be a useful technique for reconstructing adjacent double defects.4

The additional tissue relaxation provided by an unequal Z-plasty and the use of similar skin tissue to close two closely spaced nasal defects appear to be the advantages of this type of procedure, since it does not require the excision of additional healthy tissue.4

CONCLUSIONS

This case report demonstrated that Z-plasty is a remarkable and versatile option for reconstructive plastic surgery. It is essential to know the available techniques to best apply them in nasal reconstruction. l

REFERENCES:

1. Gheno V, Kondo RN, Lena CP. Carcinoma espinocelular do lábio inferior: dois casos de reconstrução bilateral com retalho de Gilles associado à z-plasty. Surg Cosmet Dermatol. 2020;12(2):182-6.

2. Gon AS, Araújo FM. Z-plasty como alternativa para fechamento de defeito cirúrgico duplo. Surg Cosmet Dermatol 2015;7(2):162-4.

3. Espósito ACC, Palermo E, Lara OACC, Souza MP, Vieira MB, Terzian LR. Retalhos cirúrgicos para fechamento de defeitos faciais sincrônicos. Surg Cosmet Dermatol. 2019; 11(2):160-3.

4. Shockley WW. Scar revision techniques: z-plasty, w-plasty, and geometric broken line closure. Facial Plast Surg Clin North Am. 2011;19(3):455-63.

5. Burget GC, Menick FJ. The subunit principle in nasal reconstruction. Plast Reconstr Surg. 1985;76(2):239-47.

6. Laitano FF, Teixeira LF, Siqueira EJ, Alvarez GS, Oliveira MP. Uso de retalho cutâneo para reconstrução nasal após ressecção neoplásica. Rev Bras Cir Plást. 2012;27(2):217-22.

AUTHOR’S CONTRIBUTION:

Raul Ribeiro Garcia 0009-0009-3283-867X

Approval of the final version of the manuscript for publication; writing – original draft; writing – review & editing.

Luis Felipe Stella Santos 0000-0001-7982-3875

Approval of the final version of the manuscript for publication; writing – original draft; writing – review & editing.

Guilherme Basso Durães 0009-0008-3058-8964

Approval of the final version of the manuscript for publication; writing – original draft; writing – review & editing.

Lissa Shizue Tateiwa Niekawa 0009-0008-7457-7597

Approval of the final version of the manuscript for publication; writing – original draft; writing – review & editing.

Rogerio Nabor Kondo 0000-0003-1848-3314

Approval of the final version of the manuscript for publication; conceptualization; writing – original draft; data curation; formal analysis; supervision; writing – review & editing.

www.surgicalcosmetic.org.br/

Histological comparison of the action of CO2 laser and plasma in abdominal skin

Comparação histológica da ação do laser de CO2 e plasma na pele abdominal

Case report

Authors:

Ana Gabriella Bandeira Freire Andrade1

Rossana Cantanhe de Farias de Vasconcelos1

João Guilherme Finizola de Vasconcelos1

DOI: http://www.dx.doi.org/10.5935/scd1984-8773.2025170348

ABSTRACT

Histological data on microscopic treatment zones are essential for evaluating procedure safety and effectiveness. To date, no studies have histologically compared low-temperature plasma with other techniques. In this study, two square areas on the patient’s abdomen, referred to as area A and area B, were with low-temperature plasma and fractional CO2 laser, respectively. A biopsy was taken immediately after treatment. When applied to thinner skin regions, plasma technology appears to result in fewer complications, a faster recovery, and fewer side effects during the application period. However, further studies are needed to confirm these findings.

Keywords: Laser Therapy; Histology Comparative; Plasma Skin Regeneration; Gas Lasers.

Ana Maria Bertelli Antonio Gallotti1 Caroline Costa de Mendonça1

1 Universidade de Santo Amaro, Department of Dermatology, São Paulo (SP), Brazil

RESUMO

Dados histológicos das zonas de tratamento microscópico são importantes para estudar a segurança do procedimento e a eficácia do tratamento. Ainda não existem estudos envolvendo o plasma com outras técnicas. Selecionamos duas áreas no abdome de um paciente, denominada área A e área B, aplicando o plasma de baixa temperatura e o laser de CO2 fracionado. Logo após, foram realizadas biopsias. Quando utilizada em regiões mais finas de pele, a tecnologia de plasma garantiria menos complicações durante o período de aplicação, recuperação mais rápida e menos efeitos colaterais. No entanto, mais estudos são necessários para confirmar nossos achados.

Palavras-chave: Terapia a Laser; Histologia Comparada; Regeneração da Pele por Plasma; Lasers de Gás.

Correspondence:

Ana Gabriella Bandeira Freire Andrade

E-mail: anagabriellabandeira@ gmail.com

Funding: None

Conflict of Interest: None

Submission Date: 02/16/2024

Final Decision: 03/02/2024

How to cite this article: Andrade AGBF, Vasconcelos RCF, Vasconcelos JGF, Gallotti AMBA, Mendonça CC. Histological comparison of the action of CO2 laser and plasma in abdominal skin. Surg Cosmet Dermatol. 2024;16:e20240348.

INTRODUCTION

CO2 laser (CO2L) is one of the most widely used treatments in dermatology. However, due to its associated complications, nonablative fractional lasers (NAFL) were introduced.1,2 Following NAFL, ablative fractional lasers (AFL) were developed, emitting narrow, high-energy beams that destroy columns of tissue. Around these ablated columns, an adjacent ring of thermal damage forms, known as microscopic treatment zones (MTZs).3 Within the MTZs, columns of uninjured tissue contribute to the clinical response to treatment.

The skin retraction and neocollagenesis observed with AFL result from two primary effects—ablation and injury.3,4 AFLs allow greater control over treatment depth, more selective thermal damage, and consequently, a significant reduction in side effects.1

Over the past decade, medicinal plasma has emerged as a powerful tool for biomedical applications, particularly in therapies for delicate tissues.5 Low-temperature plasma (LTP), which operates below 40°C, has been evaluated for treating conditions requiring tissue retraction, such as blepharochalasis syndrome, tissue laxity, and scarring. Additionally, LTP has demonstrated effectiveness in treating cutaneous neoplasms, viral infections, and biofilm-related infections.5

Histological data on MTZ dimensions—depth, diameter of ablation, coagulation, and necrosis—are crucial for assessing procedure safety and effectiveness, as well as for optimizing treatment combinations based on individual patient needs.6 However, no studies have yet histologically compared LTP with other techniques. According to Baroni, compared to conventional radiofrequency and ablative treatments, LTP promotes better healing and superior aesthetic outcomes.

METHODS

A woman scheduled for abdominoplasty in 3 months consented to participate in this study. Two squared areas of approximately 4 cm2 were selected on her abdomen, designated as Area A and Area B, where plasma application and fractional CO2L were performed, respectively.

In Area A, LTP was applied using the Surgical Derm device from the SOLON® platform (LMG – Laser Medical Group Ltda., Guaxupé, MG, Brazil). In Area B, Dual Deep® fractional CO2L (Lutronics, Gyeonggi-do, South Korea) was applied with the following parameters: wavelength 10,600 nm, pulse energy 50 mJ, and static mode.

Immediately after the procedures, a 4 mm punch biopsy was performed. The two tissue samples were fixed in a 10% formaldehyde solution before processing for light microscopy, which included dehydration, paraffin embedding, and sectioning. Hematoxylin and eosin stains were used to visualize and analyze the depth and diameter of the coagulation channel. Histological sections were examined under 100× magnification with a polarized light source, using an Olympus BX41 trinocular microscope coupled to an Olympus C-35DA-2 camera.

RESULTS

The histopathological analysis of Area A (Figure 1), subjected to LTP, revealed a central coagulation zone measuring 0.6 mm in diameter, with a depth ranging from 0.15 mm to 0.25 mm, excluding the epidermis. The papillary dermis surrounding this area exhibited edema and a reduction in elastic tissue, confirmed by Verhoeff stain. Masson’s trichrome staining did not reveal any significant findings.

In Area B (Figure 2), two small coagulation zones of similar dimensions were observed. One, located eccentrically, was more prominent, measuring 0.13 mm to 0.15 mm in diameter, with a depth of 0.5 mm, excluding the epidermis. In the surrounding papillary dermis, a slight reduction in elastic tissue was noted.

DISCUSSION

Since its first description, CO2L has gained considerable recognition in the aesthetic field, stimulating neocollagenesis depending on the amount of heat supplied and the depth of its dermal and epidermal penetration.7,8 Additionally, the longer the ablation column, the greater the stimulus for dermal remodeling in deeper scar regions, resulting in improved outcomes for fine lines, acne scars, and photodamaged skin.9,10 Fractionated CO2L pulse energy has been identified as a critical factor in determining the extent and depth of ablation, thermal damage, and collagen remodeling.11,12 Baumann et al. concluded differences in the properties of ablative zones are not directly proportional to the total amount of energy applied.12 Thus, studies evaluating ablation columns resulting from different therapeutic methods are of great interest.

FIGURE 1: Area A (100× magnification) – Central coagulation zone measuring 0.6 mm in diameter, with a depth ranging from 0.15 mm to 0.25 mm

2: Area B (100× magnification) – Two small coagulation zones, one eccentrically located and more prominent, measuring 0.13 mm to 0.15 mm in diameter, with a depth of 0.5 mm

The plasma spark generated by LTP sublimates the superficial skin layers without causing excessive thermal damage by coagulating dermal vessels, maintaining controlled heating. The energy is concentrated in small areas (~1 mm in diameter), allowing for precise and targeted tissue action while minimizing damage to deeper layers.14

Our findings revealed variations in coagulation column measurements: the diameter produced by LTP was approximately four times larger than that achieved with CO2L, whereas CO2L reached an ablation depth twice that of plasma. Considering areas with low dermal thickness, such as the eyelids, this shallower penetration combined with greater surface coverage may explain the increasing popularity of LTP in nonsurgical blepharoplasty. Such histological differences suggest each technology offers distinct yet complementary therapeutic possibilities, supporting individualized treatment approaches.

Arisa and Ortiz et al.2 demonstrated treatment with fractionated CO₂L produced greater ablation columns compared to the surgical method. The increased ablation depth led to more significant skin retraction, resulting in better final aesthetic outcomes for scars.4 In contrast, LTP technology has gained prominence, particularly in noninvasive blepharoplasty. Its mechanism of action involves inducing the expression of key genes such as type I collagen, transforming growth factors (TGF-β1 and TGF-β2), and alpha-smooth muscle actin (α-SMA). Plasma treatment triggers a coordinated response of transcription factors essential for wound healing, promoting re-epithelialization, angiogenesis, and oxidation of the lipid layer.13

According to Baroni, the advantages of LTP include high precision, short procedure time, absence of bleeding, minimal collateral tissue damage, rapid formation of a postoperative protective layer, fast wound healing, and an immediate return to daily activities, with fewer unwanted effects.14 Our findings suggest when applied to thinner skin regions, LTP provides greater protection for deeper layers, more precise and controlled heating, fewer complications during application, faster recovery, and fewer side effects compared to CO2L.

However, further studies comparing the histological characteristics of MTZs across these techniques, along with their clinical outcomes, are necessary to validate these findings.

CONCLUSION

Studies on CO2L ablation layers associate greater depth with improved results. However, there is a lack of studies comparing CO2L with LTP. Our findings suggest that the greater diameter and shallower depth of the ablation column are key characteristics that support the use of plasma, particularly in areas with delicate skin. These properties contribute to fewer complications during and after the procedure, faster recovery, and excellent aesthetic outcomes. Nonetheless, further studies are required to confirm this relationship. l

FIGURE

Andrade AGBF, Vasconcelos RCF, Vasconcelos JGF, Gallotti AMBA, Mendonça CC.

REFERENCES:

1. Costa FB, El Ammar ABPC, Campos VB, Kalil CLPV. Complications in laser dermatologic surgery. Part II: fractional and non-fractional ablative laser and fractional non-ablative laser. Surg Cosmet Dermatol 2011;3(2):135-46.

2. Pozner JN, DiBernardo BE. Resurfacing a laser. Clin Plast Surg. 2016;43(3):515-25.

3. Franck P, Henderson PW, Rothaus KO. Basics of lasers. Clin Plast Surg. 2016;43(3):505-13.

4. Ortiz AE, Goldman MP, Fitzpatrick RE. Ablative CO2 lasers for skin tightening: traditional versus fractional. Dermatol Surg. 2014;(40 Suppl)12:S147-51.

5. Duarte S, Panariello BHD. Comprehensive biomedical applications of low temperature plasmas. Arch Biochem Biophys. 2020;693:108560.

6. DeBruler DM, Blackstone BN, Baumann ME, McFarland KL, Wulff BC, Wilgus T, et al. Inflammatory responses, matrix remodeling, and re-epithelialization after fractional CO2 laser treatment of scars. Lasers Surg Med. 2017; 49(7), 675–685.

7. Bentkover SH. Plasma skin resurfacing: personal experience and long-term results. Facial Plast Surg Clin North Am. 2012; 20(2):145–162.

8. Omi T, Numano K. The role of the CO2 laser and fractional CO2 laser in dermatology. Laser Ther. 2014; 23(1):49–60.

9. Tierney EP, Hanke CW, Petersen J. Ablative fractionated CO 2 laser treatment of photoaging: a clinical and histologic study. Dermatologic Surg. 2012; 38(11):1777–1789.

10. Anderson RR, Donelan MB, Hivnor C, Greeson E, Ross EV, Shumaker PR, et al. Laser treatment of traumatic scars with an emphasis on ablative fractional laser resurfacing: consensus report. JAMA Dermatol. 2014;150:18793.

11. Schmitt L, Huth S, Amann PM, Marquardt Y, Heise R, Fietkau K, et al. Direct biological effects of fractional ultrapulsed CO2 laser irradiation on keratinocytes and fibroblasts in human organotypic full-thickness 3D skin models. Lasers Med Sci. 2018;33(4):765-772.

12. Baumann ME, Blackstone BN, Malara MM, Clairmonte IA, Supp DM, Bailey JK, et al. Fractional CO2 laser ablation of porcine burn scars after grafting: is deeper better? Burns. 2020;46(4):937-948.

13. Gan Lu, Jiang J, Duan JW, Wu XJZ, Zhang S, Duan XR, et al. Cold atmospheric plasma applications in dermatology: a systematic review. J Biophotonics. 2021;14(3):e202000415.

14. Baroni A. Non‐surgical blepharoplasty with the novel plasma radiofrequency ablation technology. Skin Res Technol. 2020; 26(1):121-124.

AUTHOR’S CONTRIBUTION:

Ana Gabriella Bandeira Freire Andrade

0000-0002-8023-0134

Statistical analysis; approval of the final version of the manuscript; study conception and design; manuscript drafting and writing; data collection, analysis, and interpretation; active participation in research supervision; intellectual contribution to the propaedeutic and/or therapeutic management of studied cases; critical literature review; critical manuscript review.

Rossana Cantanhe de Farias de Vasconcelos

0000-0002-6185-1840

Statistical analysis; approval of the final version of the manuscript; data collection, analysis, and interpretation; active participation in research supervision; intellectual contribution to the propaedeutic and/or therapeutic management of studied cases; critical manuscript review.

João Guilherme Finizola de Vasconcelos

0000-0003-1588-4083

Statistical analysis; data collection, analysis, and interpretation; intellectual contribution to the propaedeutic and/or therapeutic management of studied cases.

Ana Maria Bertelli Antonio Gallotti

0000-0003-3113-0564

Author contributions: Study conception and design; active participation in research supervision; critical manuscript review.

Caroline Costa de Mendonça 0000-0003-3308-6093

Statistical analysis; study conception and design; manuscript drafting and writing; data collection, analysis, and interpretation; active participation in research supervision; critical literature review.

www.surgicalcosmetic.org.br/

Forehead reduction: option for reconstructing forehead defects

Frontoplastia: opção para reconstrução de defeitos na fronte

Case Report

Authors:

Vitoria Azulay1

Beatriz Rocha Strauss1

Gabriela Della Ripa1

Lucas Madureira1

Leonardo Rotolo1

DOI: http://www.dx.doi.org/10.5935/scd1984-8773.2025170351

ABSTRACT

Three-dimensional facial analysis is the basis for planning appropriate treatment. We evaluated the face in thirds. The distance from the hairline to the glabella, from the glabella to the subnasale and from the subnasale to the menton must be equal. Some conditions such as androgenetic alopecia can cause a greater distance from the hairline to the glabella. We report the case of a 48-year-old patient with androgenetic alopecia and basal cell carcinoma in the right hairline in which forehead reduction surgery was performed in association with tumor excision, simultaneously providing esthetic improvement and resolving the oncological issue.

Keywords: Carcinoma, Basal Cell; Esthetics; Surgical Oncology.

RESUMO

A análise tridimensional da face é fundamental para um planejamento terapêutico adequado. A face é subdividida em três terços iguais: terço superior (do tríquio até a órbita/glabela), terço médio (da órbita/glabela até o subnásio) e terço inferior (do subnásio até o gnátio). Algumas condições, como a alopecia androgenética (AAG), podem causar variação no terço superior, aumentando seu tamanho. Relatamos o caso de uma paciente de 48 anos, com AAG e carcinoma basocelular no tríquio à direita, submetida à cirurgia de redução frontal (frontoplastia) associada à exérese do tumor, garantindo a cura oncológica e melhora estética. Palavras-chave: Carcinoma Basocelular; Estética; Oncologia Cirúrgica.

1 Instituto de Dermatologia Professor Rubem David Azulay, Dermatological Surgery Service, Rio de Janeiro (RJ), Brazil

Correspondence:

Vitoria Azulay E-mail: viazulay@gmail.com

Financing: None.

Conflicts of interest: None.

Submitted on: 02/23/2023

Final decision: 05/22/2024

How to cite this article:

Azulay V, Strauss BR, Ripa GD, Madureira L, Rotolo L. Forehead reduction: option for reconstructing forehead defects. Surg Cosmet Dermatol. 2024;16:e20240351.

INTRODUCTION

Cosmetic facial surgery is increasingly common in dermatological practice.1 New techniques are being developed to improve facial harmony and, when associated with oncological treatment, they provide a double benefit: esthetic and curative. We report the case of a 48-year-old female patient who sought our service due to the appearance of a plaque with pearly edges, with a slightly erythematous and atrophic center (Figure 1). On dermoscopic examination, an arboriform vascular pattern, localized pigmentation, and erosions were observed (Figure 2), resulting in diagnosis of basal cell carcinoma. Cryosurgical tumor excision was indicated. Considering that the patient had androgenetic alopecia, resulting in a receding hairline and an elongated forehead, it was decided to excise the tumor in association with forehead reduction through a pre-capillary incision (Figure 3).2 In addition, eyebrow ptosis and established rhytides on the forehead were observed, signs of aging that can be improved through forehead reduction.

Azulay V, Strauss BR, Ripa GD, Madureira L, Rotolo L.
Figure 1: Plaque with pearly edges and a slightly erythematous and atrophic center on the forehead, more specifically the hairline
Figure 2: Dermoscopy: arboriform vessels, localized pigmentation, and erosions
Figure 3: Tumor excision associated with forehead reduction and pre-capillary incision

Surg Cosmet Dermatol. 2025;v.17: n.1 jan-mar. p.112-5.

METHODS

This study is a case report performed at the Professor Rubem David Azulay Institute of Dermatology, Rio de Janeiro, Brazil. The patient provided written consent to use the images. Cryosurgery was performed to excise the basal cell carcinoma, in association with forehead reduction in a patient with androgenetic alopecia. The surgical technique consisted of marking the hairline with broken lines, anesthesia, incision at the hairline, removing a strip of skin and subcutaneous tissue, skin detachment, and wound closure in layers.

RESULTS

Cryosurgical excision of the tumor and forehead reduction were performed, reducing the forehead size by approximately 3 cm, simultaneously providing esthetic improvement and resolving the oncological issue.

DISCUSSION

Androgenetic alopecia can significantly affect a patient’s psychosocial life, with varying degrees of impairment in overall quality of life.1 This disease has two peaks of incidence: one between the second and third decades of life and another between the fifth and sixth decades.1 As the name suggests, its pathophysiology is related to the interaction between hormonal and genetic factors.1 From a hormonal point of view, it is postulated that androgens promote, in genetically determined follicles, the transformation of terminal follicles into miniaturized follicles.1 The clinical manifestation is hair thinning in the scalp region, diffusely in women and, in men, in the frontoparietal, bitemporal and vertex areas. In advanced cases of androgenetic alopecia, the distance from the hairline to the glabella increases, causing disharmony and aging of the face.Techniques to alleviate this clinical situation range from the use of makeup or tattoos to forehead reduction surgery, which is considered a safe and effective method.3 Indications for this procedure include ptosis of the eyebrows or periorbital tissue, established rhytides on the forehead, and a disproportionately enlarged glabella or forehead. Impulsive decision-making and uncertainty about the procedure are considered contraindications, as is a risk of lagophthalmos, especially if the patient has previously undergone upper blepharoplasty with large tissue removal.4

The surgery consisted of:

Marking: While in the supine position, the patient was instructed to raise her eyebrows to determine the location of the frontalis muscle insertion. The frontalis muscle insertion line and the hair implantation line were marked using zigzag lines. The basal cell carcinoma was also marked according to dermoscopy, with a safety margin of 5 mm.

Anesthesia: Subcutaneous and subgaleal administration of local anesthesia (a solution of lidocaine, adrenaline, and saline solution) was performed.

Incision and removal of skin/subcutaneous tissue: Initially, the neoplasm was excised, with the free margin confirmed

4: Marking out the forehead reduction to preserve the hair follicles and remove a 3 cm strip of skin/subcutaneous tissue

5: Wound closure, sutured in layers with 4-0 Vicryl internal sutures and 5-0 nylon external sutures

by intraoperative freezing. Subsequently, a trichophytic incision was made according to the forehead reduction markings (blade inclined at 20 degrees to preserve the hair follicles) and a 3 cm strip of skin/subcutaneous tissue was removed (Figure 4).

Detachment: Dissection was performed in the subgaleal plane with blunt scissors, and hemostasis was confirmed.

Suture: The surgical wound was sutured in layers, with 4-0 Vicryl internal sutures and 5-0 nylon external sutures (Figure 5).

Figure
Figure

CONCLUSIONS

Forehead reduction with a pre-capillary incision reduces the size of the forehead and raises the eyebrows, improving facial proportions. The procedure has a low complication rate.4 It is highly recommended for patients with an increased distance between the hairline and the glabella, such those with advanced androgenetic alopecia, in addition to eyebrow ptosis. The possibility of associating esthetic surgical techniques with curative surgery, such as basal cell carcinoma excision, increases patient satisfaction rates (Figure 6). The success achieved with this approach allows us to confidently recommend it to selected patients. l

REFERENCES:

1. Azulay RD, Azulay DR, Azulay LA. Dermatologia. 8th ed. Rio de Janeiro: Guanabara Koogan; 2022.

2. Berenguer B, García T, Lorca-García C, San-Basilio M. Aesthetic forehead reduction in female patients: surgical details and analysis of outcome. J Plast Reconstr Aesthet Surg. 2022;75(1):407-414.

3. Kabaker SS, Champagne JP. Hairline lowering. Facial Plast Surg Clin North Am. 2013;21(3):479-86.

4. Niamtu, Joe. Cosmetic facial surgery. 2nd ed. Elsevier; 2017.

AUTHOR’S CONTRIBUTION:

Vitoria Azulay 0000-0001-6534-1832

Conceptualization; writing and original draft; writing and review & editing.

Beatriz Rocha Strauss 0009-0004-5072-5242

Conceptualization; writing and original draft; writing and review & editing.

Gabriela Della Ripa 0000-0001-5236-2554

Intellectual participation in the propaedeutic and/or therapeutic conduct of the studied cases.

Lucas Madureira 0000-0001-9412-1900

Intellectual participation in the propaedeutic and/or therapeutic conduct of the studied cases.

Leonardo Rotolo 0000-0003-0481-8224

Writing and review & editing.

Azulay V, Strauss BR, Ripa GD, Madureira L, Rotolo L.
Figure 6: Cured cancer and aesthetic improvement

www.surgicalcosmetic.org.br/

Transverse facial artery occlusion following hyaluronic acid and calcium hydroxyapatite filler injection: a case report

Oclusão da artéria transversa da face após preenchimento com ácido hialurônico e hidroxiapatita de cálcio: um relato de caso

DOI: http://www.dx.doi.org/10.5935/scd1984-8773.2025170352

ABSTRACT

This case report describes a complication following the use of a filler composed of hyaluronic acid and calcium hydroxyapatite mixed in the same syringe, resulting in vascular occlusion of the right transverse facial artery. The patient developed hypopigmented macules, followed by a reticulated pattern and pustules. Treatment included prednisone, enoxaparin, and hyaluronidase. Due to worsening symptoms, including arterial obstruction confirmed by ultrasound, ultrasound-guided hyaluronidase injection and hyperbaric oxygen therapy were administered. The patient showed a favorable recovery, with regression of vascular complications. This case underscores the importance of early identification and intervention to minimize complications associated with vascular occlusion in aesthetic procedures.

Keywords: Dermal Fillers; Hyaluronoglucosaminidase; Arterial Occlusive Diseases.

Case Report

Authors: Isabelle Ar y Duque1 Francisco Jefferson Araújo Elias1 Matheus Morais Lima1

1 Clínica Dra. Isabelle Duque, Dermatology Department, Fortaleza (CE), Brazil

Correspondence: Francisco Jefferson Araújo Elias E-mail: jelias464@gmail.com

RESUMO

Este relato descreve uma complicação após uso de um preenchedor composto por ácido hialurônico e hidroxiapatita de cálcio em uma mesma seringa, resultando em oclusão vascular na artéria transversa da face direita. A paciente desenvolveu máculas hipocrômicas, seguidas por aparência reticulada e pústulas. O tratamento envolveu prednisona, enoxaparina e hialuronidase. Após agravamento, incluindo obstrução arterial evidenciada por ultrassonografia, foi realizada hialuronidase guiada por ultrassonografia e terapia hiperbárica. A paciente apresentou evolução favorável com regressão das alterações. O caso destaca a importância da identificação precoce e intervenção para minimizar complicações decorrentes de oclusão vascular em procedimentos estéticos.

Palavras-chave: Preenchedores Dérmicos; Hialuronoglucosaminidase; Arteriopatias Oclusivas.

Funding source: None.

Conflict of interest: None.

Submission date: 02/25/2024

Final decision: 09/12/2024

How to cite this article: Duque IA, Elias FJA, Lima MM. Transverse facial artery occlusion following hyaluronic acid and calcium hydroxyapatite filler injection: a case report. Surg Cosmet Dermatol. 2024;16:e20240352.

CASE REPORT

A 43-year-old woman (phototype III) underwent zygomatic region filler injection for volumetric restoration. The product used was a combination of hyaluronic acid and calcium hydroxyapatite (Harmonyca), applied with a 22G × 70 mm cannula. Injections were administered at three points, each 0.1 mL bolus, targeting the zygomatic arch, zygomatic prominence, and malar region.

Immediately after the procedure, the patient developed hypopigmentation on the right hemiface (Figures 1 and 2). At the time, she did not report any symptoms. Hyaluronidase was promptly administered, prepared as 2,000 IU diluted in 5 mL of diluent, and the patient was referred for ultrasound assessment to investigate possible vascular obstruction, which was not confirmed.

Twelve hours later, photographic records sent by the patient revealed the development of livedo reticularis (Figure 3). At that point, treatment was initiated, including prednisone (0.5 mg/kg/day), aspirin (200 mg/day), enoxaparin (1 mg/kg every 12 hours), and an empirical antibiotic regimen with amoxicillin-clavulanate. Additionally, a new hyaluronidase application was performed over the entire livedo-affected area (Figure 4).

Seventy-two hours after the procedure, signs of vascular obstruction progressed, with the formation of pustules and petechiae (Figure 6). A repeat ultrasound revealed extrinsic

Figure 1: Differentiation of nonpermanent injectable fillers: prevention and treatment of filler complications
Figure 2: Demarcation of the area for hyaluronidase application
Figure 3: Patient presentation 12 hours after filler injection

subocclusion of the transverse facial artery at the middle third (Figure 5). Ultrasound-guided hyaluronidase injection was then performed.

Adjuvant therapy with hyperbaric oxygen therapy was initiated. After 10 days, the patient achieved complete resolution of clinical signs (Figure 7).

This case underscores the importance of early identification and intervention to minimize complications related to vascular occlusion in aesthetic procedures.

DISCUSSION

The transverse facial artery plays a crucial role in lateral facial irrigation and is one of the primary arteries affected in cases of vascular occlusion. It is located approximately two centimeters above the zygomatic arch and runs parallel to it, although anatomical variations may occur. This artery typically originates from the superficial temporal artery, but in some cases, it may arise directly from the external carotid artery (Figure 8). It supplies blood to the parotid gland, facial nerve, and zygomatic region.

Figure 4: Hyaluronidase application points in areas with livedo, 12 hours post-filler injection
Figure 5: Ultrasound showing the absence of a diastolic peak, indicating vascular compromise

When considering vascular events, a survey of 370 dermatologists found that the incidence of vascular occlusion was approximately 1 in 6,410 injections with a needle and 1 in 40,882 injections with a cannula. Another study showed that the relative risk of vascular occlusion was twice as high among physicians with less than five years of practice compared to more experienced professionals, highlighting clinical experience as a key factor in reducing complications.1

A case series analyzing 46 articles with 164 patients reported 436 complications related to calcium hydroxyapatite and hyaluronic acid fillers. Among them, 31 cases involved the malar region and were classified as mild or transient, with the most common complications being redness and edema at the injection site.7 The zygomatic area is generally considered a moderate- to low-risk region.2

Early identification of vascular occlusion—particularly in its initial stage (pallor)—and immediate administration of hyaluronidase are essential to minimize the risk of tissue necrosis. Key criteria for assessing arterial occlusion include capillary refill time, pain, and skin color. 2 In this case, the patient initially presented with pallor, followed by livedo reticularis, corresponding to stage two of vascular occlusion. This was promptly identified and treated with hyaluronidase. However, despite early intervention, the condition worsened, reinforcing the importance of frequent reassessments to

Figure 6: 72 hours after filler injection, with the development of pustules and petechiae
Figure 7: Anatomical location of the transverse facial artery
Figure 7: 10 days post-filler injection, showing complete resolution of clinical signs

monitor treatment effectiveness in vascular occlusion cases. Dermatological ultrasound is a valuable tool for detecting, describing, and assessing complications of exogenous materials. 9 However, its effectiveness relies on the sonographer’s expertise. In this case, the initial ultrasound did not reveal an obstruction.

CONCLUSION

In cases of vascular events induced by facial fillers, the duration of ischemia directly correlates with the extent of tissue damage. Prompt recognition and understanding of occlusion stages are crucial for effective treatment and clinical management. Regular patient reassessment is essential to monitor treatment response and ensure timely adjustments to therapeutic strategies. l

REFERENCES:

1. Alam M, Kakar R, Dover JS, Harikumar V, Kang BY, Wan HT, et al. Rates of vascular occlusion associated with using needles vs cannulas for filler injection. JAMA Dermatol. 2021;157(2):174–180.

2. Murray G, Convery C, Walker L, Davies E. Guideline for the management of hyaluronic acid filler-induced vascular occlusion. J Clin Aesthet Dermatol. 2021;14(5):E61-E69.

3. Urdiales-Gálvez F, Delgado NE, Figueiredo V, Lajo-Plaza JV, Mira M, Moreno A, et al. Treatment of soft tissue filler complications: expert consensus recommendations. Aesthetic Plast Surg. 2018;42(2):498-510.

4. Garvier MH, Bass LM, Fitzgerald R, Golberg DJ, Gottfried L. Differentiating nonpermanent injectable fillers: prevention and treatment of filler complications. Aesth Surg J. 2018;38(Suppl 1):S29-S40.

5. Tamura BM. Facial anatomy and the application of fillers and botulinum toxin – part 2. Surg Cosmet Dermatol.2010;2(4):291-303.

6. Rodriguez-Valera A, Nieto-Lopez F. Hyperbaric oxygenation therapy improve recovery in early or late vascular occlusion generates by tissue fillers. J Cosmet Dermatol. 2023;22(7):1969-1972.

7. Oranges CM, Brucato D, Schaefer DJ, Kalbermatten DF, Harder Y. Complications of nonpermanent facial fillers: a systematic review. Plast Reconstr Surg Glob Open. 2021;9(10):e3851.

8. Daskalopoulou D, Matsas A, Chrysikos D, Troupis T. The superficial temporal artery: anatomy and clinical significance in the era of facial surgery and aesthetic medicine. Acta Med Acad. 2022;51(3):232-242.

9. Díaz CPG. High resolution ultrasound of soft tissues for characterization of fillers and its complications. Rev Colomb Radiol. 2019;30:5064-5068.

AUTHOR’S CONTRIBUTION:

Isabelle Ary Duque 0009-0002-6381-1524

Final approval of the manuscript; study conception and planning; intellectual contribution to the diagnostic and/or therapeutic management of studied cases; critical literature review.

Francisco Jefferson Araújo Elias 0009-0008-9515-3750

Manuscript drafting and writing; critical literature review; critical manuscript review.

Matheus Morais Lima 0000-0002-3722-963X

Manuscript drafting and writing; critical literature review; critical manuscript review.

www.surgicalcosmetic.org.br/

Necrotizing soft tissue infection in a patient following cosmetic pedicure: a case report

Infecção necrosante de tecidos moles em um paciente após pedicure

cosmética: relato de caso

DOI: http://www.dx.doi.org/10.5935/scd1984-8773.2025170357

ABSTRACT

Necrotizing soft tissue infections (NSTIs) are severe infections affecting the skin, subcutaneous tissue, superficial fascia, deep fascia, and musculature, often leading to extensive and permanent tissue loss. Such infections may originate in the skin and subsequently spread to deeper tissues. Cosmetic procedures, such as manicures and pedicures, are becoming increasingly popular. However, they involve disruption of soft tissue integrity, which can increase the risk of localized infections. We present the case of a 41-year-old woman who developed NSTI following a nonsterile pedicure. She was successfully treated with broad-spectrum antibiotics, surgical intervention, and vacuum-assisted closure (VAC) therapy.

Keywords: Soft tissue infections; Fasciitis, Necrotizing; Cosmetics.

RESUMO

As infecções necrosantes de tecidos moles são infecções graves no tecido subcutâneo, fáscia superficial, fáscia profunda e musculatura, e podem resultar em perda extensa e permanente de tecido. A infecção pode começar na pele e se espalhar para tecidos mais profundos. Procedimentos cosméticos, como manicure e pedicure, estão ganhando popularidade. Porém, envolvem a ruptura da continuidade dos tecidos moles, o que pode levar à infecção. Apresentamos o caso de uma mulher de 41 anos que sofreu de infecção necrosante de tecidos moles após pedicure não estéril. Ela foi tratada com antibióticos de amplo espectro, cirurgia e terapia de fechamento assistido por vácuo. Palavras-chave: Infecção necrosante de tecidos moles; Cosméticos; Fasciite.

Case Report

Authors: Raman Nitskovich1,2 Izabela Staniszewska1 Irena Walecka1,2

1 National Medical Institute of the Ministry of the Interior and Administration, Department of Dermatology, Warsaw, Poland

2 Centre of Postgraduate Medical Education, Department of Dermatology and Paediatric Dermatology – Warsaw, Poland

Correspondence: Izabela Staniszewska E-mail: staniszewskaiza28@gmail. com

Funding source: None. Conflict of interest: None.

Submission date: 03/05/2024

Final decision: 08/26/2024

How to cite this article: Nitskovich R, Staniszewska I, Walecka I. Necrotizing soft tissue infection in a patient following cosmetic pedicure: a case report. Surg Cosmet Dermatol. 2024;16:e20240357.

INTRODUCTION

Necrotizing soft tissue infections (NSTIs) are severe infections that can rapidly spread across the skin, subcutaneous tissue, superficial fascia, deep fascia, and musculature, often leading to extensive and permanent tissue loss.1 Fortunately, such infections are rare.2 Cosmetic nail procedures have become increasingly popular.3 A cosmetic pedicure involves trimming, filing, and removing thickened skin from the toenails, often followed by nail polish application. The removal of thickened epidermis can disrupt soft tissue integrity, potentially increasing the risk of infection.3,4 We present the case of a 41-year-old woman who developed NSTI following a non-sterile pedicure. She was successfully treated with broad-spectrum antibiotics, surgical intervention, and vacuum-assisted closure (VAC) therapy.

CASE REPORT

A 41-year-old previously healthy woman, who was not taking any medications, visited a beauty parlor for a pedicure before Easter. The procedure was performed in the beautician’s apartment under unsanitary conditions. Several days later, she developed swelling in her right foot along with a low-grade fever (Figure 1A) and severe pain in her right leg.

She was taken to the emergency department, where she was prescribed oral clindamycin (300 mg, three times a day) and a topical antibiotic. However, the swelling remained unchanged. The following day, petechiae, bruising, and worsening swelling appeared on the right foot (Figure 1B), along with the emergence of distinct necrosis on the hallux. A few hours later, blisters and erosions with oozing serous fluid developed.

The patient was referred to the dermatology department due to progressive swelling, now extending from the right foot to the lower leg, along with visible necrosis, blisters, and significant warmth in the affected limb (Figure 1C).

Initial laboratory tests revealed elevated inflammatory markers, with a C-reactive protein (CRP) level of 318 mg/L and procalcitonin at 5.12 ng/mL. The white blood cell count was 15,000/µL, indicating an immune response. Red blood cell parameters showed anemia, with 3.7 × 10⁶/µL erythrocytes, hemoglobin at 9.2 g/dL, and hematocrit at 27%. Additionally, platelet count was reduced to 95,000/µL, consistent with thrombocytopenia. Given the severity of the condition, she was immediately started on broad-spectrum intravenous antibiotic therapy with ceftriaxone and metronidazole. An urgent ultrasound examination of the lower limb veins was performed, and an emergency surgical consultation was scheduled.

The patient underwent urgent surgical intervention, including fasciotomy, decompression, and debridement of necrotic tissue. Filters were placed, and purulent contents were drained. Additionally, the nail plate of the right hallux was removed (Figure 1D).

During the procedure, multiple thrombosed vessels were observed in the subcutaneous tissue, and wound samples were collected for microbiological analysis. The diagnosis of NSTI was confirmed. Intravenous broad-spectrum antibiotic therapy

with ceftriaxone and metronidazole was continued.

Microbiological test results identified penicillin-sensitive Streptococcus pyogenes as the causative agent. Based on culture results, antibiotic therapy was switched to intravenous amoxicillin-clavulanic acid. However, the swelling and necrosis continued to progress, leading to a further change in treatment. The antibiotic regimen was escalated to intravenous piperacillin-tazobactam, and the patient underwent a second surgical procedure to remove additional necrotic tissue from the right foot.

During this second intervention, purulent material was drained from the forefoot and the big toe, and new incisions were made to further debride the affected tissues. Additional drains were placed, and VAC therapy was initiated.

VAC therapy proved to be highly effective, leading to a reduction in inflammatory markers and halting the progression of necrosis (Figure 1E). After 14 days of VAC therapy, the patient was in good overall condition (Figure 1F). Due to the significant tissue loss in the subcutaneous and skin layers of the right leg, the patient was referred to a plastic surgery clinic for further reconstructive treatment.

DISCUSSION

If left untreated, NSTIs are life-threatening, with mortality rates reaching 20–30% even with appropriate treatment.5 Amputation is often required,6 and in nearly all cases, NSTIs result in skin defects, scarring, and limb deformities, significantly reducing patients’ quality of life.7

In this case, the infection caused visible, disfiguring lesions on the patient’s right lower limb. However, her general condition was stabilized, and she did not develop sepsis or other organ complications. The most crucial aspect of treatment was that amputation of the lower limb was successfully avoided.

Managing NSTIs requires a multimodal approach, where early antibiotic administration is critical for survival. Once necrotic tissue is identified, delaying surgical debridement is futile. Prompt surgical intervention is essential to remove necrotic tissue and prevent further spread of the infection. Additionally, collecting samples for microbiological testing is imperative to guide targeted antimicrobial therapy.3,8

Despite being a well-recognized condition, NSTIs are often misdiagnosed in the early stages. As previously mentioned, immediate antibiotic therapy is crucial for both patient survival and long-term outcomes. Exploratory surgery plays a key role in confirming the diagnosis, allowing for the detection of skin, subcutaneous tissue, fascia, and muscle necrosis, as well as vascular thrombosis, swelling, and exudate.9

This case shows that even minor cosmetic procedures can lead to NSTIs.

CONCLUSIONS

Preventing NSTI requires careful selection of sterile environments for cosmetic procedures that breach soft tissue

Surg Cosmet Dermatol. 2025;v.17: n.1 jan-mar. p.121-4.

integrity. Proper hygiene and infection control measures significantly reduce the risk of complications. When assessing a patient with suspected necrotizing soft tissue infection, obtaining

Figure 1A, 1B: Necrotizing soft tissue infection following a cosmetic pedicure. Clinical presentation during the initial days of symptoms, as observed upon admission to the clinic.

Figure 1C: The day of the surgical procedure.

Figure 1D: Condition of the right lower limb after removal of surgical dressings.

Figure 1E: Clinical appearance after 10 days of VAC therapy.

Figure 1F: Clinical appearance after 14 days of VAC therapy

a detailed history of pain, systemic symptoms, swelling, and local erythema is essential. Immediate initiation of broad-spectrum antibiotic therapy is crucial, along with early surgical interven-

tion when necessary to control the infection and prevent further tissue damage. The primary goal is to preserve the affected limb and minimize complications. If standard treatments fail to promote healing, VAC therapy can be a valuable option. Patients with severe NSTI should be referred for long-term follow-up at a surgical or wound care clinic to ensure appropriate management and recovery.

Availability of data and material: The datasets used and analyzed during this study are available from the corresponding author upon reasonable request.

Conflict of interests: The authors declare no conflict of interests.

Funding: No funding was provided for this research. Authors contributions

R.N., I.S., and I.W. designed the article, reviewed literature, and wrote the manuscript. R.N. and I.S. had primary responsibility for the final content. All authors read and approved the final manuscript.

Ethics approval and consent to participate

Not applicable.

Consent for publication

Photographs were published with the patient’s informed consent. l

REFERENCES:

1. Gundersen IM, Bruun T, Almeland SK, Skutlaberg DH, Nedrebø T, Rath E, et al. Necrotising soft tissue infections. Tidsskr Nor Laegeforen. 2024;144(3).

2. Morten H, Martin Bruun M, Lærke Bruun M, Ole H. Incidence, comorbidity and mortality in patients with necrotising soft-tissue infections, 2005–2018: a Danish nationwide register-based cohort study. BMJ Open. 2020;10(10):e041302.

3. Scheers C, Andre J, Richert B. Nail cosmetology. Hand Surg Rehabil. 2024:101657.

4. Yang J, Hall K, Nuriddin A, Woolard D. Risk for hepatitis B and C virus transmission in nail salons and barbershops and state regulatory requirements to prevent such transmission in the United States. J Public Health Manag Pract. 2014;20(6):E20-30.

5. Boyer A, Vargas F, Coste F, Saubusse E, Castaing Y, Gbikpi-Benissan G, et al. Influence of surgical treatment timing on mortality from necrotizing soft tissue infections requiring intensive care management. Intensive Care Med. 2009;35(5):847-53.

6. Peetermans M, Prost N, Eckmann C, Norrby-Teglund A, Skrede S, De Waele JJ. Necrotizing skin and soft-tissue infections in the intensive care unit. Clin Microbiol Infect. 2020;26(1):8-17.

7. Urbina T, Canoui-Poitrine F, Hua C, Layese R, Alves A, Ouedraogo R, et al. Long- term quality of life in necrotizing soft-tissue infection survivors: a monocentric prospective cohort study. Ann Intensive Care. 2021;11(1):102.

8. Stevens DL, Bryant AE. Necrotizing soft-tissue infections. N Engl J Med. 2017;377(23):2253-65.

9. Goh T, Goh LG, Ang CH, Wong CH. Early diagnosis of necrotizing fasciitis. Br J Surg. 2014;101(1):e119-25.

AUTHOR’S CONTRIBUTION:

Raman Nitskovich 0000-0001-5311-3787

Data collection, analysis, and interpretation.

Izabela Staniszewska 0000-0002-1457-0675

Manuscript drafting and writing.

Irena Walecka 0000-0002-3502-3339

Intellectual contribution to the diagnostic and/or therapeutic management of studied cases.

www.surgicalcosmetic.org.br/

Combined surgical techniques in the treatment of hypopigmented scars in discoid lupus erythematosus

Uso de técnicas cirúrgicas combinadas no tratamento de cicatrizes acrômicas de lúpus discóide

DOI:http://www.dx.doi.org/10.5935/scd1984-8773.2025170359

ABSTRACT

Discoid lupus erythematosus (DLE) causes chronic lesions that can heal with dyschromic patches. We report a clinical case showing success in the treatment of achromic lesions using a combination of surgical techniques, including excision, punch grafting, and full-thickness skin grafting.

Keywords: Lupus Erythematosus, Discoid; Cicatrix; Surgical Procedures, Operative.

Case Report

Authors:

Rafael Rezende Rocha de Oliveira1

Jade Noleto Viana1

Kaique Arriel1

Rafael Rubinho1

Fernanda Rytenband1

1 Universidade Santo Amaro (UNISA), Department of Dermatology, São Paulo (SP), Brazil

RESUMO

O lúpus eritematoso discoide provoca lesões crônicas que podem regredir com áreas discrômicas. Relatamos um caso clínico em que houve sucesso no tratamento de cicatrizes acrômicas por meio da combinação de técnicas cirúrgicas, como excisão, microenxertos e enxerto de pele total. Palavras-chave: Lúpus Eritematoso Discoide; Cicatriz; Procedimentos Cirúrgicos Operatórios.

Correspondence:

Rafael Rezende Rocha de Oliveira E-mail: rafaelrezende73@gmail. com

Financial support: None. Conflicts of interest: None.

Submitted on: 15/03/2024

Approved on: 05/04/2024

How to cite this article: Oliveira RRR, Viana JN, Arriel K, Rubinho R, Rytenband F. Combined surgical techniques in the treatment of hypopigmented scars in discoid lupus erythematosus. Surg Cosmet Dermatol. 2024;e20240359.

INTRODUCTION

Chronic cutaneous lupus erythematosus (CLE) is an autoimmune connective-tissue disease that predominantly affects women in the fourth decade of life. The most common clinical variant of chronic CLE is discoid lupus erythematosus (DLE), characterized by erythematous plaques covered with adherent scaling. Cutaneous lesions in DLE are chronic, persistent, and may regress, leaving hypopigmentation, scarring, telangiectasia, and cicatricial alopecia. These lesions, due to their unsightly nature, can be stigmatizing, causing a negative impact on quality of life.1

Here, we report a successful case in the treatment of achromic lesions in DLE using a combination of surgical techniques, including excision, punch grafting, and full-thickness skin grafting in a patient with multiple comorbidities.

CASE REPORT

A 58-year-old male patient with hypertension and chronic kidney disease on dialysis, diagnosed with DLE 13 years ago, with stable disease for 9 years, and on hydroxychloroquine presented with significant aesthetic discomfort due to lesions on the face and scalp. On dermatological examination, he exhibited achromic and atrophic lesions on the left mandibular and preauricular regions (Figure 1), as well as in the occipital, temporal, and parietal scalp.

Due to the patient’s comorbidities and high surgical risk, we initially decided to perform punch grafting in the achromic plaque of the left mandible. The left retroauricular region was chosen as the donor site. Local anesthesia was administered, and the grafts were harvested with a 3-mm punch. Five fragments were removed and placed on sterile gauze moistened with saline solution. The donor area was not sutured, and only compressive dressing was applied. The recipient area was incised at 5 linear points, spaced 1 cm apart, using a 2-mm punch. The grafts were placed on the recipient area and covered with sterile surgical tape, which was removed after 7 days (Figure 2).

The patient returned 1 month after the procedure, showing small halos of repigmentation around the implants. After 3 months, he exhibited pigmented halos of approximately 1 cm around all the implanted grafts, with repigmentation of about 10% of the DLE lesion (Figure 3), without complications and satisfied with the treatment.

Additional punch grafting procedures were performed, and 1 year after the start of treatment, the patient demonstrated complete repigmentation of the patches, with multiple halos forming a homogeneous repigmentation macule. During this period, the preauricular lesion was excised with an elliptical incision of approximately 3 cm in height by 1 cm in width, followed by primary closure. After 9 months, the initial lesions had improved by approximately 90%.

days

Figure 1: Atrophic and achromic patches on the left mandible
Figure 2: Atrophic Graft integration 7
after the procedure

Figure 3: Repigmentation of approximately 10% of the DLE scar, 3 months after the procedure

Figure 4: Repigmentation of approximately 90% of the scar on the left mandible and left preauricular lesion, and complete integration of the graft into the left temporooccipital region showing positive aesthetic results

Considering the successfulness of the treatment, we decided to perform full-thickness skin grafting on the left temporo-occipital cicatricial lesion. The medial right thigh was chosen as the donor site. In the recipient area, the entire hypochromic cicatricial lesion was excised using an elliptical incision with a cold blade, and the cutaneous fragment was discarded. The healthy fragment was then placed on the recipient area, sutured, and covered with sterile dressing. The patient returned after 8 weeks with complete graft integration into the recipient site, promoting repigmentation of the region (Figure 4).

DISCUSSION

Punch grafting with melanocyte transplantation aims to provide a reservoir of melanocytes and repigment refractory lesions. However, in a meta-analysis evaluating treatment response of different surgical techniques, the highest repigmentation rate was achieved with skin grafting. Both techniques are simple to execute and low-cost; however, studies reporting the application of punch grafting in DLE lesions are scarce.2 Surgical excision of lesioned skin patches is a treatment option for certain dermatological conditions. Some cases of cicatricial alopecia may be corrected by surgical excision of small lesions followed by primary

closure. For larger defects, tissue expanders or extensors may be used to allow for tension-free closure. Their use for burns and for cutaneous lupus itself has also been reported.2,3

In this case, the technique of punch grafting for melanocyte transplantation in the left mandibular region, full-thickness skin grafting in the left temporal region, and excision with primary closure in the left preauricular region was reported in the treatment of an adult patient with an achromic cicatricial lesions on the face due to DLE. Moreover, because the lesions were on the face, the patient already experienced considerable aesthetic discomfort, which impacted his quality of life. 4 Possible adverse effects of this technique include static graft (without spread of pigmentation), cobblestone appearance, post-inflammatory hyperpigmentation, graft failure, and scar formation. 5 Our patient did not experience any adverse effects.

In conclusion, punch grafting and full-thickness skin grafting may be promising options for the treatment of stable DLE lesions, which significantly impact quality of life. Further research is necessary to evaluate outcomes in a larger number of patients, considering that there are only a few reports in the literature. l

Oliveira RRR, Viana JN, Arriel K, Rubinho R, Rytenband F.

REFERENCES:

1. McDaniel B, Sukumaran S, Koritala T, Tanner LS. Discoid lupus erythematosus. Treasure Island (FL): StatPearls Publishing; 2024 .

2. Ju HJ, Bae JM, Lee RW, Kim SH, Parsad D, Pourang A, et al. Surgical interventions for patients with vitiligo: a systematic review and meta-analysis. JAMA Dermatol. 2021;157(3):307-316.

3. Unger W, Unger R, Wesley C. The surgical treatment of cicatricial alopecia. Dermatol Ther. 2008;21(4):295-311.

4. Lewandowicz E, Zielinski T, Iljin A, Fijalkowska M, Trojan-Kasielska A, Antoszewski B. Surgical treatment of skin lesions in lupus erythematosus. Postepy Dermatol Alergol.2014;31(6):405-409.

5. Romagnolli LE, Reis LM, Douat FB, Delfes MFZ, Battaglin ER, Torre DS. Tratamento de lesões cicatriciais acrômicas de lúpus discoide com técnica de enxertia por punch: relato de caso. Surg Cosmet Dermatol.2014;6(2):191-193.

6. Dellatorre G, Cafrune FE. Tratamento cirúrgico do vitiligo. Surg Cosmet Dermatol.2016;8(4):289-293.

AUTHOR’S CONTRIBUTION:

Rafael Rezende Rocha de Oliveira 0000-0002-4261-185x

Preparation and writing of the manuscript; critical review of the literature; critical review of the manuscript.

Jade Noleto Viana 0009-0009-3089-9743

Preparation and writing of the manuscript.

Kaique Arriel 0000-0002-3984-2964

Study design and planning; preparation and writing of the manuscript; critical review of the literature.

Rafael Rubinho 0000-0002-4913-2560

Preparation and writing of the manuscript; critical review of the literature.

Fernanda Rytenband 0000-0002-2882-1658

Approval of the final version of the manuscript; preparation and writing of the manuscript; effective participation in research orientation; intellectual participation in propaedeutic and/or therapeutic conduct of studied case; critical review of the literature; critical review of the manuscript.

www.surgicalcosmetic.org.br/

Bilateral temporal triangle alopecia mimicking male pattern alopecia in an adult woman: a case report and review of literature

Alopecia triangular temporal bilateral simulando alopecia androgenética de padrão masculino em mulher adulta: um relato de caso e revisão de literatura

DOI: http://www.dx.doi.org/10.5935/scd1984-8773.2025170380

ABSTRACT

IntroductIon: Temporal triangular alopecia (TTA) is a nonscarring, noninflammatory, permanent form of alopecia with an unknown etiology, often misdiagnosed as other types of alopecia. case report: A 27-year-old woman presented with triangular patches of alopecia in the temporal regions, resembling male pattern alopecia. Dermoscopy revealed normal follicular openings. Histopathological analysis showed only vellus follicles, with no telogen or terminal follicles, intact sebaceous glands, and no inflammatory infiltrate.

dIscussIon: Dermoscopy is a valuable diagnostic tool, and histopathology may be performed in selected cases. There is no definitive treatment for TTA. Management options include topical minoxidil, hair transplantation, or surgical excision.

Keywords: Alopecia; Temporal Distribution; Hair Diseases.

RESUMO

Introdução: A alopecia triangular temporal é uma alopecia permanente não cicatricial e não inflamatória de etiologia desconhecida, frequentemente confundida com outros tipos de alopecia.

ApresentAção do CAso: Mulher, 27 anos, apresenta placas triangulares de alopecia nas regiões temporais, de distribuição semelhante à alopecia androgenética masculina. A dermatoscopia revelou aberturas foliculares normais. A histopatologia mostrou apenas folículos velos, glândulas sebáceas intactas e ausência de infiltrado inflamatório.

dIsCussão: A dermoscopia é uma ferramenta útil para o diagnóstico e a histopatologia pode ser realizada em casos selecionados. Não há tratamento definitivo para alopecia triangular temporal. Opções incluem minoxidil tópico, transplante capilar ou exérese.

Palavras-chave: Alopecia; Distribuição Temporal; Doenças do Cabelo.

Case Report

Authors:

Marcelo Balbinot Lucca1,2

Laura Oliveira Ferreira1

Ana Letícia Boff3

Rodrigo Vettorato1,3

1 Irmandandade Santa Casa de Misericórdia de Porto Alegre, Dermatology Department, Porto Alegre (RS), Brazil

2 Universidade Federal de Ciências da Saúde de Porto Alegre, Porto Alegre (RS), Brazil

3 Private practice, Porto Alegre (RS), Brazil

Correspondence:

Marcelo Balbinot Lucca E-mail: marceloblucca@gmail.com

Funding source: None. Conflict of interest: None.

Submission date: 06/20/2024

Final decision: 06/21/2024

How to cite this article:

Lucca MB, Ferreira LO, Boff AL, Vettorato R. Bilateral temporal triangle alopecia mimicking male pattern alopecia in an adult woman: a case report and review of literature. Surg Cosmet Dermatol. 2025;17:e20250380.

INTRODUCTION

Temporal triangular alopecia (TTA) is an asymptomatic, localized, nonscarring, and noninflammatory form of permanent alopecia with an unknown etiology. Although considered uncommon, it is frequently underdiagnosed.1

Typically appearing in childhood,TTA presents as a triangular, rounded, or spear-shaped alopecic patch—often singular—in the frontotemporal region, remaining stable throughout life. Dermoscopy and histopathology are valuable tools for differentiating TTA from other types of alopecia, such as alopecia areata, trichotillomania, traction alopecia, and congenital aplasia cutis.2,3

In this report, we present a rare case of bilateral TTA mimicking male pattern alopecia in an adult woman and discuss key considerations for its identification.

CASE REPORT

A 27-year-old Caucasian female presented to our dermatology practice with a long-standing history of hair thinning in the bilateral temporal region, which began at age 7. The condition remained stable over time, with no notable changes or progression, and no involvement of other scalp areas.

Previous investigations1 had suggested a possible diagnosis of trichotillomania, despite the patient denying any hair-plucking behavior. She reported no itching, pain, or other associated symptoms. She was in good health and had been continuously using oral contraceptives, with no other ongoing medications.

Dermatological examination revealed two triangular-shaped alopecia plaques in the temporal regions, each measuring approximately 8 cm in diameter (Figure 1). These plaques contained vellus hairs at the center, surrounded by terminal hairs at the periphery, resembling Hamilton-Norwood type II male pattern alopecia. No erythema or scaling was observed.

Dermoscopy (Heine Delta One®) revealed normal follicular openings with vellus hairs surrounded by terminal hairs (Figure 2). There were no signs of yellow or black dots, dystrophic hairs, vascular changes, or decreased follicular openings.The pull test was negative.

A skin biopsy was performed on one of the plaques. Histological analysis showed only vellus follicles, with no telogen or terminal follicles in the alopecic area. Sebaceous glands were intact, and there was no inflammatory infiltrate. A single terminal follicle was present at the periphery (Figure 3). These findings, combined with clinical assessment, confirmed a diagnosis of TTA.

The patient expressed relief at finally receiving a definitive diagnosis after years of uncertainty. We discussed her prognosis and the limited therapeutic options with proven efficacy. As a strategy to improve hair density and thickness, oral minoxidil (0.5 mg/day) was prescribed. The patient was satisfied with the diagnostic clarification and agreed to the treatment plan.

DISCUSSION AND REVIEW OF LITERATURE

TTA was first described by Sabouraud in 1905 as “congenital triangular alopecia,” a term now considered obsolete, as many cases emerge between ages two and nine, while some may present or be diagnosed in adulthood.1,4 In the present case, despite the late diagnosis, the onset at age 7 with no subsequent progression was a key factor in confirming the diagnosis.

The etiology of TTA remains unknown. While typically sporadic, familial cases suggest an autosomal dominant inheritance pattern.1,4 It has also been associated with mosaicism and linked to conditions such as Down syndrome, iris nevus, pigmentovascular phakomatosis, congenital heart diseases, bone and dental abnormalities, intellectual disability, and aplasia cutis congenita.1,5,6

Figure 1: Triangular-shaped alopecia plaques in the patient's temporal regions, with vellus hairs in the center and terminal hairs at the periphery. The frontotemporal hairline resembles HamiltonNorwood type II male pattern alopecia

MB, Ferreira LO, Boff AL, Vettorato R.

Figure 2: Dermoscopy (Heine Delta One®) of the alopecia plaque shows normal follicular openings with vellus hairs surrounded by terminal hairs

Figure 3: Histological analysis reveals follicular units containing only vellus follicles, with no inflammatory infiltrate or perifollicular fibrosis (H&E staining, 4× magnification)

Although considered rare, with an incidence of 0.11%4 and fewer than 200 reported cases, TTA is believed to be underdiagnosed and often mistaken for other forms of alopecia, particularly alopecia areata. TTA is more prevalent in Caucasians and affects both sexes, although men are more frequently affected. In over 95% of cases, TTA occurs in the frontotemporal region, with bilateral involvement, as seen in our case, being less common (18.5% of cases).2

Dermoscopy plays a critical role in distinguishing TTA from other types of alopecia. Inui et al. proposed the following diagnostic criteria3: 1) triangular or spear-shaped alopecia plaque involving the frontotemporal region; 2) dermoscopy showing normal follicular openings with vellus hairs surrounded by terminal hairs; 3) absence of yellow or black dots, dystrophic hairs, and reduced follicular openings on dermoscopy; and 4) minimal hair growth after clinical and dermoscopic confirmation of vellus hairs.

The primary differential diagnoses include alopecia areata, trichotillomania, aplasia cutis congenita, sebaceous nevus, telogen effluvium, and tinea capitis.1,2 Alopecia areata typically presents with a sudden onset of self-limiting alopecic areas, often multiple. Dermoscopic signs include yellow and black dots, broken hairs, exclamation mark hairs, and short vellus hairs. In contrast, dermoscopy of TTA reveals vellus hairs of varying lengths, whereas alopecia areata only presents with short vellus hairs measuring less than 10 mm.7 Trichotillomania is more common in adolescents and rarely occurs in infants. It predominantly affects the parietal and frontal regions, with dermoscopy showing

black dots, broken hairs, hair tips resembling a broom or brush, split and curled hair trunk stumps, and, in some cases, bleeding spots and pigmentation. During the resting phase, hairless follicular openings may be observed.8

Aplasia cutis congenita presents clinically as a pink or red atrophic translucent patch, with dermoscopy revealing a translucent area devoid of skin appendage openings.2 Sebaceous nevus is characterized by a yellow-orange, velvety plaque, with dermoscopy showing independently distributed and relatively consistent yellow-red globular structures unrelated to hair follicles.9 Telogen effluvium manifests as acute or chronic diffuse hair loss, with dermoscopy showing normal hair shaft thickness and signs of shorter regrowing hairs, primarily in the frontal and bitemporal areas.10 Tinea capitis is characterized by broken hairs, fine scales, spiral or comma-like hair patterns, and dystrophic hairs, with a positive mycological examination typically confirming the diagnosis.2

Histopathological assessment is essential, as this condition is frequently misdiagnosed as alopecia areata, especially when it manifests in childhood or early adulthood. The classical histopathological presentation includes only vellus follicles in the alopecic area, with no telogen follicles, which are prominent in alopecia areata, or terminal follicles with trichomalacia, as seen in trichotillomania. Follicular “stellae” are absent, and normal terminal follicles may be present at the periphery of the lesion. There is no evidence of inflammatory or scarring processes, and the total number of follicles is preserved.3,4 Congenital cases presumably undergo follicular miniaturization in utero, or terminal

hair formation never occurs, preventing “stellae” formation despite the predominance of vellus hairs.11

Currently, no effective treatment exists for TTA, and in most cases, therapeutic intervention is unnecessary.2,4,12,13 Providing reassurance about the benign nature of the condition is crucial. In cases of significant aesthetic or emotional distress,

hair transplantation and surgical removal of the lesion are the primary treatment options.6,12,13 Bang et al. described the first successful case treated with topical minoxidil,12 though further evidence is required to confirm its efficacy. In our case, minoxidil was initiated as a strategy to increase overall hair volume and reduce the visibility of alopecic patches. l

REFERENCES:

1. Campos JG, Klein AP, Puga C, Akel PBM, Romero SAR, Pinto GM. Use of dermoscopy in the diagnosis of temporal triangular alopecia. An Bras Dermatol. 2015;90(1):123-5.

2. Guan Z, ShiW, Ren M, Bi T, Su H. Clinical and dermatoscopic features of temporal triangular alopecia in infants. Skin Res Technol. 2023;29:e13294.

3. Inui S, Nakajima T, Itami S. Temporal triangular alopecia: trichoscopic diagnosis. J Dermatol. 2012;39:572-4.

4. Yamazaki M, Irisawa R, Tsuboi R. Temporal triangular alopecia and a review of 52 past cases. J Dermatol. 2010;37:360-2.

5. Lederer D, Wilson B, Lefesvre P, Poorten VV, Kirkham N, Mitra D, et al. Atypical findings in three patients with Pai syndrome and literature review. Am J Med Genet A. 2012;158A:2899-904.

6. Unger R, Alsufyani MA. Bilateral temporal triangular alopecia associated with phakomatosis pigmentovascularis type iv successfully treated with follicular unit transplantation. Case Rep Dermatol Med. 2011;2011:129541.

7. Jha AK, Udayan UK, Roy PK, Amar AKJ, Chaudhary RKP. Dermoscopy of alopecia areata-a retrospective analysis. Dermatol Pract Concept. 2017 Apr 30;7(2):53-57.

8. Xingqi Z. Application of dermatoscopy in alopecia. J Clin Dermatol. 2014;43(8): 505-8.

9. Martín JM, Montesinos E, Cordero P, Gonzalez V, Ramon D. Trichoscopy features of trichotillomania. Pediatr Dermatol. 2019;36(2):265-267.

10. Grover C, Khurana A. Telogen efflfluvium. Indian J Dermatol Venereol Leprol. 2013;79:591–603.

11. Sperling L. An atlas of hair pathology with clinical correlations, 2 ed, Editora Informa Healthcare, London, 2012.

12. Bang CY, Byun JW, Kang MJ, Yang BH, Song HJ, Shin J, et al. Successful treatment of temporal triangular alopecia with topical minoxidil. Ann Dermatol. 2013;25:387-8.

13. Chung J, Sim JH, Gye J, Namkoong S, Hong SP, Kim MH, et al. Successful hair transplantation for treatment of acquired temporal triangular alopecia. Dermatol Surg. 2012;38:1404-6.

AUTHOR’S CONTRIBUTION:

Marcelo Balbinot Lucca

0000-0001-8395-6742

Approval of the final manuscript version; study conception and planning; manuscript drafting and writing; data collection, analysis, and interpretation; active participation in research supervision; intellectual contribution to the diagnostic and/or therapeutic approach of the studied cases; critical literature review; critical manuscript review.

Laura Oliveira Ferreira

0000-0002-6939-7099

Approval of the final manuscript version; data collection, analysis, and interpretation; intellectual contribution to the diagnostic and/or therapeutic approach of the studied cases; critical manuscript review.

Ana Letícia Boff

0000-0002-5207-0567

Approval of the final manuscript version; data collection, analysis, and interpretation; active participation in research supervision; intellectual contribution to the diagnostic and/or therapeutic approach of the studied cases; critical literature review; critical manuscript review.

Rodrigo Vettorato

0000-0002-5186-8796

Approval of the final manuscript version; study conception and planning, data collection; analysis, and interpretation, active participation in research supervision; intellectual contribution to the diagnostic and/or therapeutic approach of the studied cases; critical manuscript review.

Turn static files into dynamic content formats.

Create a flipbook
Issuu converts static files into: digital portfolios, online yearbooks, online catalogs, digital photo albums and more. Sign up and create your flipbook.