

em revista
ARTÉRIAS DO CORAÇÃO ENTUPIDAS
Como é feito o diagnóstico e o tratamento
A IMPORTÂNCIA DO ECOCARDIOGRAMA
Um dos exames mais importantes para avaliar a saúde do coração
A IMPORTÂNCIA DO CATETERISMO
Procedimento que desempenha um papel essencial na identificação e avaliação de doenças cardíacas
MORTE SÚBITA E A IMPORTÂNCIA DA LEI DO DESFIBRILADOR CARDÍACO (LEI DEA)
Dr. Laio Wanderley entrevista
Dr. Pedro Henrique Albuquerque
DOAÇÃO DE ELETROCARDIÓGRAFO HISTÓRICO À SBC/AL
Dra. Francette Basto, filha do Dr. Alfredo Ramiro Basto, realizou a doação
SBC/AL em revista
Ed. Dezembro de 2024
Diretoria SBC/AL - gestão 2024/2025
Presidente
Roberta Rodrigues Nolasco Cardoso CRM: 5793-AL | CLÍNICA MÉDICA - RQE: 2769 | CARDIOLOGIA - RQE: 3549
Vice-presidente
Sandra Batista dos Santos Magalhães Maurício CRM: 4121-AL | CLÍNICA MÉDICA - RQE: 1428 | CARDIOLOGIA - RQE: 1429
Diretor Administrativo
Jose Roberto Nolasco de Araújo CRM: 1347-AL | CARDIOLOGIA - RQE: 410
Diretor Financeiro
Pedro Henrique Oliveira de Albuquerque CRM: 6397 AL | CLÍNICA MÉDICA - RQE: 3102 | CARDIOLOGIA - RQE: 3270
Diretor de Comunicação
Laio Caju Wanderley CRM 6538 -AL | CIRURGIA CARDIOVASCULAR - RQE: 4834
Diretor de Promoção à Saúde (FUNCOR)
Saulo Rodrigo Ramalho de Moraes CRM: 5873 -AL | CARDIOLOGIA - RQE: 4186 |
ELETROFISIOLOGIA INVASIVA - RQE: 4187 |CLÍNICA MÉDICA - RQE: 4188
Diretor de Qualidade Assistencial (DQA)
Marcus da Rocha Sampaio CRM: 3003-AL | CARDIOLOGIA - RQE: 674 | HOMEOPATIA - RQE: 675
Diretor Científico
Carlos Romério Costa Ferro CRM: 4258-AL | CARDIOLOGIA - RQE: 2485 | ELETROFISIOLOGIA INVASIVA - RQE: 2495
Membros da Comissão Científica
Carlos Emídio da Mota Araújo
CRM: 4590-AL | CARDIOLOGIA - RQE: 4134
Evandro Martins Filho


3 PALAVRA DO PRESIDENTE
4 ARTÉRIAS DO CORAÇAO
6 ECOCARDIOGRAMA
CRM: 6602-AL | CARDIOLOGIA - RQE: 3177 | CARDIOLOGISTA INTERVENCIONISTA - RQE: 3235
Glaucio Mauren da Silva Gerônimo
CRM: 5329-AL | MEDICINA INTENSIVA - RQE: 4291 | CIRURGIA CARDIOVASCULAR - RQE: 4292
Patrícia Caldas de Oliveira
CRM: 5320-AL | CARDIOLOGIA - RQE: 3061| CLÍNICA MÉDICA - RQE: 3062
Rafael Rebelo César Cavalcanti
CRM: 5660-AL | CARDIOLOGIA - RQE: 3687 | CARDIOLOGIA INTERVENCIONISTA - RQE: 4282
Wanessa Ferreira Vanderlei dos Anjos Bohrer
CRM: 5617-AL | PEDIATRIA - RQE: 3536 | CARDIOLOGIA PEDIÁTRICA - RQE: 3537
Delegado
Pedro Ferreira de Albuquerque
CRM: 1153-AL | CARDIOLOGIA - RQE: 90 | ERGOMETRIA-RQE: 2057
Secretária
Silvane Couto de Moraes
Sociedade Brasileira de Cardiologia
Estadual de Alagoas (SBC/AL)
Rua Engenheiro Mario de Gusmão, n° 18, Galeria Arnaldo Paiva, Sala 27
Pajuçara - Maceió - AL
Revisão e Edição de Texto
Júlia Montesanti
Design e Diagramação
Giovana Bandeira Grando
Atendimento ao Leitor sbc.alagoas20@gmail.com
Tiragem: 500 exemplares
Distribuição: gratuita em clínicas e hospitais de Alagoas
A inclusão de nome de colaboradores nesse expediente não implica em vínculos empregatícios. A Revista SBC AL não se responsabiliza por conceitos emitidos em artigos assinados, que são de inteira responsabilidade de seus autores, nem pelo conteúdo dos anúncios publicados. SCB AL em revista é editada pela Jota. Frogs | Fotos e ilustrações | Canva e Freepik
8 CATETERISMO
11
DESFIBRILADOR CARDÍACO (LEI DEA)
15
DOAÇÃO DE ELETROCARDIÓGRAFO HISTÓRICO À SBC/AL
16 NOTAS E NOTÍCIAS
ACOMPANHE NOSSAS REDES SOCIAIS @sbc.alagoas
Palavra da PRESIDENTE

Estar à frente da SBC Alagoas durante o biênio 2024/2025 tem sido uma experiência enriquecedora, marcada por desafios e conquistas importantes.
Durante este primeiro ano, trabalhamos com dedicação e comprometimento para fortalecer a cardiologia em nosso Estado. Promovemos eventos de grande impacto, como os simpósios “Coração em Foco” e “Arritmia em Foco”, reunindo vários especialistas com debates de elevado nível científico. Realizamos ações sociais que reafirmam nosso compromisso com a comunidade, como a doação de desfibriladores externos automáticos (DEAs) para instituições que atuam no atendimento à população de Maceió, além das campanhas educativas como a do Dia Nacional de Prevenção
e Combate à Hipertensão e do Dia Mundial do Coração, levando informação de qualidade como pilar fundamental para a prevenção das doenças cardiovasculares.
Agradeço à diretoria anterior pelo trabalho inspirador e a todos os colegas que têm contribuído nessa caminhada. Seguimos firmes no propósito unir ciência, cuidado e solidariedade, fortalecendo cada vez mais a cardiologia alagoana.
Com gratidão,
Dra. Roberta Nolasco
Presidente SBC/Alagoas (2024/2025)
ARTÉRIAS DO CORAÇÃO ENTUPIDAS:
Como é feito o diagnóstico e o tratamento.
O termo “infarto no coração” assusta a maioria da população ao se imaginarem acometidos por tal doença. E para nosso o coração funcionar de maneira adequada, mandando sangue para todo o nosso corpo, ele precisa estar saudável, ou seja, que suas artérias não possuam obstrução. Esse entupimento pode ser provocado por diversos fatores, como pressão arterial elevada, diabetes descompensada, sedentarismo, colesterol alto, tabagismo, estresse e idade avançada, formando ao longo do tempo placas de gorduras nos vasos que podem se romper, provocando o infarto e desenvolvimento de um coração mais fraco, incapaz de desenvolver suas funções de maneira ideal.

PLACAS DE GORDURA

ENTUPIMENTO DAS ARTÉRIAS
INFARTO
COLESTEROL ELEVADO
HIPERTENSÃO
TABAGISMO
DIABETES
SEDENTARISMO
O principal sintoma na maioria dos casos em que se suspeita de infarto é a dor torácica. Esta é caracterizada como em queimação, aperto ou peso, muitas vezes se direcionando também para região das costas, membros superiores ou mandíbula. Piora com esforço físico e estresse emocional e alivia com repouso e uso de medicação vasodilatadora.
Entretanto, mulheres, idosos e diabéticos podem se queixar de outros sintomas que não propriamente a dor torácica em si como exemplo, náuseas e vômitos, falta de ar, tontura e sensação de desmaio Esses relatos, particularmente nesse grupo atípico, não devem ser menosprezados.
Mesmo em pacientes que não possuem fatores de risco, se apresentarem qualquer sintomatologia semelhante à relatada acima, devem procurar imediatamente atendimento médico. O diagnóstico precoce e tratamento assertivo reduzem a mortalidade e desfechos negativos. O principal exame a ser realizado é o eletrocardiograma. Além de exames laboratoriais como enzimas cardíacas e radiografia de tórax. Outros exames como ecocardiograma transtorácico, teste ergométrico e cintilografia miocárdica também podem nos ajudar no seguimento clínico.
Os fatores de risco para artérias do coração entupidas (chamadas de Doença Arterial Coronariana) incluem vários fatores de risco) que podem se somar para gerar placas de gordura no coração
Após o diagnóstico de infarto através de exames de baixo custo disponíveis tanto em rede pública quanto privada, como o eletrocardiograma e troponina, prosseguimos com a realização do cateterismo cardíaco onde, através dele, conseguimos mensurar o grau de obstrução das artérias e definir o tratamento do doente: 1) angioplastia coronariana com o implante de stent, 2) cirurgia de revascularização miocárdica ou 3) tratamento clínico medicamentoso. A escolha do tratamento se baseia no risco da cirurgia, no comprometimento da obstrução, se esse paciente possui anatomia adequada para tal tratamento e na vontade expressa do indivíduo em aceitar ou não a indicação sugerida pela equipe médica.
Prevenimos tal doença eliminando os fatores de risco, através de hábitos alimentares mais saudáveis e prática de exercício físico, bem como um acompanhamento regular com seu cardiologista assistente para que qualquer sinal de alarme seja imediatamente investigado.
Por Dra. Mariana Albuquerque de Araújo CRM: 7012-AL
CARDIOLOGIA RQE No 4722


A IMPORTÂNCIA DO ECOCARDIOGRAMA NA SAÚDE CARDÍACA
Vida e saúde, com certeza, são algumas das primeiras palavras que vêm à mente quando pensamos no nosso coração. Isso é natural, pois demonstra a importância desse órgão para o nosso corpo. Por isso, o cuidado com o coração é tão importante e especial. Nada melhor do que realizar exames preventivos com o objetivo de detectar possíveis alterações logo no início, possibilitando assim um tratamento mais eficaz e promissor.
O ecocardiograma é um dos exames mais importantes para avaliar a saúde do coração. Apesar de ser um exame simples, ele é muito eficaz, permitindo o diagnóstico de uma variedade de doenças relacionadas ao coração.
Por meio das imagens ultrassonográficas obtidas no exame de ecocardiograma, é possível avaliar a morfologia do coração, ou seja, sua forma, tamanho, dimensões e peso. Também permite avaliar sua fisiologia, verificando se as válvulas cardíacas estão funcionando corretamente, se o fluxo sanguíneo e a pressão interna estão normais.
Avaliar se o coração sofreu um infarto ou se a força do coração está normal é uma das principais funções do exame, mas inúmeras doenças podem ser diagnosticadas, como insuficiência das válvulas mitral e aórtica (conhecida popularmente como sopro), dilatação da aorta, presença de tumores cardíacos, além de doenças cardíacas em recém-nascidos.
Por isso, o ecocardiograma é uma ferramenta indispensável para o diagnóstico, acompanhamento e tratamento de diversas doenças do coração. É a partir desse exame que o cardiologista pode acompanhar e traçar um plano de tratamento adequado para cada paciente.
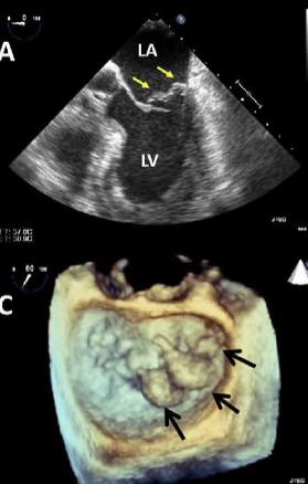
Imagens do ecocardiograma mostrando a válvula mitral, permitindo a avaliação de suas características e função. É através de imagens como essas que o médico ecocardiografista consegue avaliar a doença reumática da válvula mitral, prolapsos, e dificuldades de abertura ou fechamento da válvula.

A imagem ao lado mostra o posicionamento do paciente durante o exame. Ao longo do procedimento, as ondas sonoras de alta frequência são direcionadas ao coração com um dispositivo chamado transdutor. Ecos são produzidos quando as ondas sonoras refletem nas várias partes do coração. O transdutor capta esses ecos e os transmite para um computador que processa as informações para criar imagens em movimento do coração, as quais são visualizadas em um monitor.
Por Dr. Maurício V. Macias CRM: 6348-AL CARDIOLOGIA RQE No 5267
• Especialista em Cardiologia pela SBC
• Cardiologista/Ecocardiografista do Hospital Santa Casa de Maceió, Hospital Medradius
• Coordenador de Ecocardiografia do Hospital Hapvida



Imagem didática de um cateterismo das artérias coronárias, onde podemos perceber que o cateter inserido no vaso da coxa (imagem A) vai até o coração para realizar imagens (imagens B e C) ou procedimentos.
O cateterismo cardíaco é um procedimento diagnóstico que desempenha um papel essencial na identificação e avaliação de doenças cardíacas Esse exame envolve a inserção de um cateter — um tubo fino e flexível — através de um vaso sanguíneo, geralmente na virilha ou no pulso, até o coração.
Ao injetar um meio de contraste e utilizar radiografias em tempo real, os médicos podem visualizar as artérias coronárias e identificar obstruções ou estreitamentos que possam comprometer o fluxo sanguíneo para o coração. Além disso, o cateterismo cardíaco permite a avaliação da função cardíaca e a medição das pressões dentro das câmaras do coração e nas artérias pulmonares, sendo particularmente útil no diagnóstico e tratamento de condições como insuficiência cardíaca, doenças valvares e hipertensão pulmonar.
Com o auxílio de técnicas de imagem avançadas, os médicos conseguem obter uma visão detalhada das estruturas e funções cardíacas, permitindo uma análise precisa das condições do coração.

Imagem do famoso cateterismo cardíaco das artérias coronárias. Note como a artéria, após a injeção do contraste, fica “desenhada”, permitindo a visualização da anatomia e, consequentemente, de doenças que podem afetar esses vasos, tais como obstruções e anomalias.
A importância do cateterismo cardíaco no diagnóstico de doenças cardíacas é multifacetada.
Primeiramente, ele fornece informações diretas sobre a presença e a gravidade de doenças coronarianas, como a aterosclerose, que pode levar a infartos do miocárdio. Através da coleta de dados precisos, os cardiologistas podem planejar intervenções apropriadas, como as angioplastias, que restauram o fluxo sanguíneo e melhoram a função cardíaca.
Outra vantagem do cateterismo cardíaco é sua capacidade de guiar o tratamento em tempo real
A realização do exame pode não apenas confirmar um diagnóstico, mas também permitir a execução de procedimentos terapêuticos de urgência durante um infarto agudo do miocárdio.
Apesar dos grandes avanços em exames de imagens, como a angiotomografia de coronárias e a ressonância cardíaca, o cateterismo cardíaco continua sendo uma ferramenta indispensável na cardiologia moderna. Ele oferece uma visão abrangente e detalhada das condições cardíacas, possibilitando diagnósticos precisos e tratamentos eficazes, fundamentais para a saúde e a qualidade de vida dos pacientes.

Na imagem acima, o aparelho de hemodinâmica, responsável por captar as imagens.
Por Dr. Hélder Marx A. de Moura Lima CRM: 6185-AL
CARDIOLOGIA RQE No 4709
HEMODINÂMICA E CARDIOLOGIA INTERVENCIONISTA RQE No 4710
• Coordenador do Serviço de Hemodinâmica do Hospital do Coração Adib Jatene
• Hemodinamicista da Santa Casa de Misericórdia de Maceió
• Cardiologista pelo Pronto Socorro Cardiológico de Pernambuco
• Hemodinâmica e Cardiologia Intervencionista pelo Pronto Socorro Cardiológico de Pernambuco

MORTE SÚBITA E A IMPORTÂNCIA DA LEI DO DESFIBRILADOR CARDÍACO (LEI DEA)
Entrevista com o Dr. Pedro Henrique Albuquerque
Olá, caro leitor! Tudo bem? Meu nome é Laio Wanderley, sou diretor de comunicação da SBC/AL. Na entrevista a seguir (que você também pode assistir por meio do QR code ou link disponível após cada pergunta), vou conversar com o nosso estimado ex-presidente, ecocardiografista e cardiologista, o professor Pedro Albuquerque.
O tema da nossa conversa será “Morte Súbita e Arritmias Cardíacas: Como a Lei DEA, ou Lei do Desfibrilador Cardíaco, Pode Salvar Vidas.” Essa

legislação obriga o poder público a distribuir desfibriladores cardíacos em locais de grande fluxo de pessoas, contribuindo para a preservação de vidas.
Mas, antes de explorarmos essa importante lei, precisamos entender o que é a morte súbita, quais são suas causas e como os desfibriladores externos automáticos, conhecidos como DEA, podem intervir e salvar vidas.


DR. LAIO: O que é a morte súbita e qual é sua relação com as arritmias cardíacas?
DR. PEDRO HENRIQUE: A morte súbita é aquela que ocorre nas primeiras horas, ou até mesmo minutos, após o início dos sintomas. É quando uma pessoa que estava bem subitamente apresenta um sintoma e, em seguida, sofre uma parada cardíaca e vai a óbito.

DR. LAIO : Qual é a relação entre a morte súbita, o coração e as arritmias cardíacas? Existe uma conexão?
DR. PEDRO HENRIQUE: Sim, existe uma conexão significativa. Há uma gama de diagnósticos e doenças que podem levar à morte súbita. Cerca de 50% das mortes súbitas são causadas por infarto e quase 20% por arritmias. Na verdade, a maioria das mortes por infarto ocorre porque o próprio infarto pode gerar uma arritmia grave. Portanto, as mortes súbitas geralmente estão relacionadas ao sistema cardiovascular.

DR. LAIO : O que é o Desfibrilador Externo Automático (DEA) e como ele pode salvar vidas?
DR. PEDRO HENRIQUE: A maioria das mortes súbitas é provocada por arritmias, e essas arritmias podem ser interrompidas com um choque. Esse choque precisa ser aplicado por equipamentos especializados, como o DEA, que é a sigla para Desfibrilador Externo Automático.






O DEA foi desenvolvido para ser utilizado por leigos. Ele possui apenas um botão, o que torna seu uso muito simples e intuitivo. Quando você presencia alguém com suspeita de morte súbita, basta acionar o DEA, e ele fornecerá todas as instruções necessárias para o uso correto. Se o paciente estiver com uma arritmia, o aparelho aplicará um choque com o objetivo de restabelecer o ritmo cardíaco normal.



DR. LAIO : Qual é a importância da Lei do Desfibrilador (Lei DEA) e como ela foi criada?
Imagem com um exemplo de Desfibriladores Externos Automáticos (DEA) Operação com botão único. Esse tipo de dispositivo foi desenvolvido para que qualquer pessoa possa usar caso presencie uma parada cardíaca ou morte súbita.

DR. PEDRO HENRIQUE: A Lei DEA tem um papel crucial no auxílio a pessoas que sofrem morte súbita. Tudo começou quando estávamos à frente da SBC Alagoas e ocorreram dois eventos trágicos em nosso estado: duas mortes súbitas em jovens atletas. Diante dessa situação, fomos procurados por algumas associações para discutir o que poderia ser feito para reduzir o índice de mortes súbitas, especialmente em locais públicos.

Junto com a direção da SBC/AL e essas associações, planejamos uma ação e buscamos o apoio do poder público. Fomos bem recebidos pelos vereadores de Maceió, liderados pelo vereador Eduardo Canuto, e, juntos, elaboramos um projeto de lei. Este projeto foi aprovado por unanimidade na Câmara de Vereadores de Maceió. No entanto, a luta agora é para que a lei seja implementada.
Imagem mostrando a Matéria publicada no Diário Oficial Eletrônico do Município de Maceió no dia 12/05/2023.


DR. LAIO : O que diz a Lei DEA na prática e o que ela exige?

DR. PEDRO HENRIQUE: A Lei DEA torna obrigatória a disponibilização de desfibriladores externos automáticos em locais públicos que recebam mais de mil pessoas por dia. Isso inclui eventos esportivos e locais de grande aglomeração. A maior parte das mortes súbitas tende a ocorrer em lugares com grande fluxo de pessoas, e a presença do DEA nesses locais aumenta significativamente as chances de salvar vidas sem sequelas graves.
CONSIDERAÇÕES FINAIS:

DR. PEDRO HENRIQUE: Estamos numa grande luta para implementar essa lei. Conseguimos promulgar a lei, mas agora precisamos que ela chegue ao conhecimento do poder executivo para que os desfibriladores sejam realmente disponibilizados. Embora essa não seja uma tarefa simples, estamos comprometidos em ajudar. Do ponto de vista financeiro, o custo é relativamente baixo, e o mais difícil nós já fizemos. Agora, precisamos cobrar e garantir que essa implementação aconteça.



DOAÇÃO DE ELETROCARDIÓGRAFO HISTÓRICO À SBC/AL
A Sociedade Brasileira de Cardiologia - Capítulo
Alagoas (SBC/AL) foi honrada com a doação de um eletrocardiógrafo histórico pertencente ao Dr. Alfredo Ramiro Basto, uma figura fundamental na história da medicina alagoana e brasileira. O aparelho, adquirido em 1954 durante seu estágio no renomado Johns Hopkins Hospital, nos Estados Unidos, foi feito sob encomenda, contendo uma placa especial com a inscrição “Made for Dr. Alfredo Ramiro Basto” – um registro único de sua trajetória internacional.
A história por trás desse eletrocardiógrafo revela a coragem e o pioneirismo do Dr. Alfredo. Em uma época desafiadora, sem recursos locais para o aprendizado do inglês, ele decorou um dicionário inteiro para se preparar e conquistar a bolsa oferecida pela Kellogg Foundation. Assim, ele se juntou a um seleto grupo de médicos brasileiros, incluindo nomes como o Dr. Radi Macruz e o Dr. Jaime Rosembaum, para vivenciar uma formação de excelência nos Estados Unidos. O período, inicialmente previsto para um ano, foi estendido para dezesseis meses devido a um intensivo curso de preparação em Michigan, onde Dr. Alfredo teve seu primeiro contato com ferramentas audiovisuais.
Ao retornar ao Brasil, o Dr. Alfredo trouxe consigo não apenas o eletrocardiógrafo, mas também ideias e conhecimentos à frente de seu tempo. Sua dedicação em se manter atualizado e sua visão inovadora marcaram profundamente a medicina alagoana. Ainda na década de 1950, ele sonhou com a construção de um hospital do coração para o Nordeste, uma promessa que não se concretizou devido ao direcionamento de investimentos para Brasília, mas que reflete sua preocupação com o avanço regional da cardiologia.


A doação desse eletrocardiógrafo, realizada pela Dra. Francette Basto, filha do Dr. Alfredo, é um ato de preservação da memória e do legado de um profissional cuja trajetória foi marcada pela coragem, determinação e busca incessante por conhecimento. Agora parte do patrimônio da SBC/AL, o aparelho simboliza não apenas o desenvolvimento da cardiologia no estado, mas também o compromisso da entidade em valorizar a história e inspirar futuras gerações de médicos.
Dr. Alfredo Ramiro Basto é um exemplo atemporal de dedicação à medicina e à inovação.
Dra. Francette Basto, filha do Dr. Alfredo, doou eletrocardiógrafo histórico à SBC Alagoas


NOTAS & notícias


EVENTOS
Em 2024, a Sociedade Brasileira de CardiologiaCapítulo Alagoas (SBC/AL) promoveu uma série de eventos de grande relevância para a cardiologia local.
Posse da nova diretoria da SBC/AL –abril de 2024
No dia 05 de abril, aconteceu a posse da nova diretoria, em uma cerimônia marcada pela aula magna “Repensando a Saúde na Era Digital”, proferida pelo Prof. Dr. Marcus Vinícius Bolívar Malachias. Durante o evento, o Dr. Jaime Reis Galvão foi homenageado por sua dedicação à cardiologia alagoana.
Simpósio Coração em Foco – abril de 2024
O Simpósio Coração em Foco, realizado em 06 de abril, abordou temas importantes relacionados à prevenção e manejo das doenças cardiovasculares. A programação trouxe especialistas de destaque e discussões profundas sobre o papel da cardiologia na promoção da saúde em diferentes fases da vida.





II Simpósio Arritmia em Foco – agosto de 2024
O II Simpósio Arritmia em Foco foi um evento de grande relevância, voltado para acadêmicos, residentes, médicos e outros profissionais da saúde, sócios ou não da SBC. Foi uma manhã enriquecedora de conhecimento e discussões sobre os mais recentes avanços no diagnóstico e tratamento das arritmias.
Homenagem ao Dr. Pedro F. de Albuquerque – Congresso Norte-Nordeste e Amazonense de Cardiologia – agosto de 2024
No XLIII Congresso Norte-Nordeste de Cardiologia e XIII Congresso Amazonense de Cardiologia, a Dra. Roberta Nolasco, presidente da SBC Alagoas, representou o Dr. Pedro Ferreira de Albuquerque, um dos fundadores da SBC Alagoas, ex-presidente da nossa estadual e atual delegado associado. Em nome do Dr. Pedro, recebeu a Comenda Enio Lustosa Cantarelli, uma homenagem das Sociedades Norte-Nordeste e Amazonense de Cardiologia, reconhecendo suas notáveis contribuições à cardiologia e à medicina brasileira. O prêmio foi entregue pelo Dr. Gentil Barreira de Aguiar Filho, presidente da Sociedade NorteNordeste de Cardiologia, destacando mais um marco importante para a SBC Alagoas.
Fórum das Estaduais – setembro de 2024
No dia 19 de setembro, a Dra. Roberta Nolasco, presidente da SBC Alagoas, participou do Fórum das Estaduais, que reúne os presidentes e membros do conselho da Sociedade Brasileira de Cardiologia (SBC) para discutir estratégias e planejamento. Durante o evento, a Dra. Roberta apresentou o case de sucesso da estadual de Alagoas: a aprovação da lei que estabelece a obrigatoriedade de desfibriladores externos automáticos (DEAs) em locais de grande circulação em Maceió, um marco significativo para a saúde pública. A participação da SBC Alagoas reforça o compromisso com a inovação e o fortalecimento da saúde cardiovascular no cenário regional e nacional.




AÇÕES SOCIAIS
Campanha de Prevenção e Combate à Hipertensão – abril de 2024
Em parceria com o Centro de Pesquisas Clínicas Dr. Marco Mota do CESMAC, o Grupo de Nutrição do CESMAC e as ligas acadêmicas, a SBC/AL realizou uma campanha de prevenção e combate à hipertensão no Maceió Shopping. A ação reforçou a importância de uma alimentação equilibrada, controle do peso e prática regular de atividades físicas como medidas essenciais no controle da hipertensão.
Doação de Desfibriladores Automáticos (DEAs) – agosto de 2024
Durante o encerramento do II Simpósio Arritmia em Foco, a SBC Alagoas celebrou a aprovação da Lei Municipal 7382, uma conquista em parceria com o vereador Eduardo Canuto, aprovada por unanimidade na Câmara Municipal de Maceió. A lei estabelece a obrigatoriedade de disponibilizar Desfibriladores Externos Automáticos (DEAs) em locais de grande aglomeração. Graças ao apoio de verba pública, a SBC Alagoas conseguiu adquirir e doar DEAs para instituições estratégicas de Maceió, como a Base da OPLIT (Operação Policial Litorânea Integrada), o Batalhão de Salvamento Aquático, a Associação Estadual dos Triatletas de Alagoas (AETRI-AL) e o Estádio Rei Pelé, assegurando o acesso a esses equipamentos essenciais em áreas com grande fluxo de pessoas.












Ação do Dia Mundial do Coração –setembro de 2024
A ação do Dia Mundial do Coração, realizada na Orla da Ponta Verde em Maceió, contou com atividades voltadas para o cuidado com a saúde cardiovascular, como aferição de pressão, teste de glicemia, cálculo do índice de massa corporal e uma aula funcional para promover o bem-estar. Houve também orientações sobre alimentação saudável com dicas para reduzir o consumo de sal usando temperos naturais, além de uma estação de ressuscitação cardiopulmonar (RCP), ensinando habilidades essenciais para emergências, e uma gincana interativa que uniu aprendizado e diversão.
Arrecadação de alimentos
O Simpósio Coração em Foco arrecadou 170 kg de alimentos, que foram doados à Associação Faça-se. Já no II Simpósio Arritmia em Foco, foram arrecadados 203 kg de alimentos, destinados à ONG Unidos do Sertão. No total, foram arrecadados 373 kg de alimentos.
A SBC/AL segue unindo o conhecimento científico com a prática de ações sociais, promovendo tanto a saúde quanto o apoio às comunidades mais necessitadas. A SBC/AL agradece a todos os participantes e palestrantes que contribuíram para essas importantes ações sociais, reafirmando o compromisso com a saúde e a solidariedade.





DIRETORIA BIÊNIO 2024 - 2025
PRESIDENTE
Roberta Rodrigues
Nolasco Cardoso
CRM: 5793-AL |
CLÍNICA MÉDICA - RQE: 2769 |
CARDIOLOGIA - RQE: 3549

DIRETOR ADMINISTRATIVO
Jose Roberto Nolasco de Araújo
CRM: 1347-AL |
CARDIOLOGIA - RQE: 410

VICE-PRESIDENTE
Sandra Batista dos Santos Magalhães Maurício
CRM: 4121-AL |
CLÍNICA MÉDICA - RQE: 1428 |
CARDIOLOGIA - RQE: 1429
DIRETOR FINANCEIRO
Pedro Henrique Oliveira de Albuquerque
CRM: 6397-AL |
CLÍNICA MÉDICA - RQE: 3102 |
CARDIOLOGIA - RQE: 3270
DIRETOR DE COMUNICAÇÃO
Laio Caju Wanderley
CRM 6538-AL | CIRURGIA
CARDIOVASCULAR - RQE: 4834

DIRETOR DE QUALIDADE
ASSISTENCIAL (DQA)
Marcus da Rocha Sampaio
CRM: 3003 - AL |
CARDIOLOGIA - RQE: 674 |
HOMEOPATIA - RQE: 675

DIRETOR DE PROMOÇÃO À SAÚDE (FUNCOR)
Saulo Rodrigo
Ramalho de Moraes
CRM: 5873-AL | CARDIOLOGIA - RQE: 4186 | ELETROFISIOLOGIA
INVASIVA - RQE: 4187 |
CLÍNICA MÉDICA - RQE: 4188

DIRETOR CIENTÍFICO
Carlos Romério Costa Ferro
CRM: 4258-AL |
CARDIOLOGIA - RQE: 2485 |
ELETROFISIOLOGIA
INVASIVA - RQE: 2495

MEMBROS DA COMISSÃO CIENTÍFICA



Carlos Emídio da Mota Araújo
CRM: 4590-AL |
CARDIOLOGIA - RQE: 4134

Glaucio Mauren da Silva Gerônimo
CRM: 5329-AL | MEDICINA
INTENSIVA - RQE: 4291 |
CIRURGIA CARDIOVASCULARRQE: 4292

Evandro Martins Filho
CRM: 6602-AL |
CARDIOLOGIA-RQE: 3177 |
CARDIOLOGIA
INTERVENCIONISTA - RQE: 3235
Rafael Rebelo César Cavalcanti
CRM: 5660-AL |
CARDIOLOGIA - RQE: 3687 | CARDIOLOGIA
INTERVENCIONISTA - RQE: 4282


Patrícia Caldas de Oliveira
CRM: 5320-AL |
CARDIOLOGIA - RQE: 3061 |
CLÍNICA MÉDICA - RQE: 3062
Wanessa Ferreira Vanderlei dos Anjos Bohrer
CRM: 5617-AL |
PEDIATRIA - RQE: 3536 |
CARDIOLOGIA
PEDIÁTRICA - RQE: 3537
DELEGADO
Pedro Ferreira de Albuquerque
CRM: 1153-AL | CARDIOLOGIA - RQE: 90 |
ERGOMETRIA-RQE: 2057

SIGA NOSSAS REDES SOCIAIS
@sbc.alagoas


