Revista AMMVEPE Mayo - Agosto 2023

Page 1

1969-2023

Esquivel LCF y col. Gestación en la perra AMMVEPE 2001; 12(6):69-70

47

Esquivel LCF y col. Gestación en la perra AMMVEPE 2001; 12(6):69-70

Órgano Oficial de la Asociación Mexicana de Médicos Veterinarios Especialistas en Pequeñas Especies, A.C. (AMMVEPE)

Atlixco # 42-1 Col. Condesa C.P. 06140. Alc. Cuauhtémoc, Ciudad de México. Tel. 55 5553-1188. Correo electrónico: informes@ammvepe.com.mx

CONSEJO DIRECTIVO PERÍODO 2023

MESA DIRECTIVA AMMVEPE 2023

Presidente

MVZ Esp. Riad Katrib Mir

Vicepresidente

MVZ Esp.Alejandro Jiménez Yedra

Secretaria

MVZ MC Norma Pérez Gallardo

Tesorero

MVZEsp.MCEduardoCarlosSantoscoyMejía

Vocal de Estatutos

MVZ Esp. MC Martha HernándezArellano

Editor de la RevistaAMMVEPE

MVZ Fernando Viniegra Rodríguez

Comité Editorial

MVZ Katyuska Olmos Jiménez

MVZ Francisco Ruiz Cabrera

MVZ Octavio Santana Cauich

MVZ Norma Pérez Gallardo

MVZ Jorge Luna Del Villar Velasco

ComitéAmpliado FESC-UNAM

MVZ José Gabriel Ruiz Cervantes

MVZ Ismael Hernández Ávalos

MVZAlfonso Gabriel Ruiz García

Comité CientíficoAMMVEPE

Coordinador del Comité

MVZ Esp. Jesús Méndez Flores

Secretaria del Comité

MVZ Esp. LourdesArias Cisneros

Vocales

MVZAndrés Villalobos Díaz

MVZ Esp.Angelina Gutiérrez Barrios

Correspondencia:

Av. Pacífico 468-4 Col. El Rosedal. Alc. Coyoacán

C.P. 04330. Ciudad de México Correo electrónico: revista_ammvepe@hotmail.com informes@ammvepe.com.mx

La Revista AMMVEPE es una publicación cuya edición y publicación están a cargo de laAsociación Mexicana de Médicos Veterinarios Especialistas en Pequeñas Especies,A.C., con domicilio en la Ciudad de México, Tel.: 55 5453-3950. Para el año 2023, el precio de la suscripción anual es de $500.00 pesos para México. El precio de suscripción incluye el envío de la revista. Toda correspondencia deberá dirigirse a: AMMVEPE Ciudad de México. Correo electrónico: revista_ammvepe@ammvepe.com, informes@ammvepe.com.mx. Certificado de Licitud de Título No. 9908 y Certificado de Licitud de Contenido No. 6934 de la Comisión Calificadora de Publicaciones y Revistas Ilustradas. Certificado de Reserva de Derechos No. 3070/96, de la Dirección General de Derecho deAutor, SEP. Publicación periódica. Registro Postal PP-DF-018-0397, autorizado por SEPOMEX.

Númeroderegistro:ISSN1405-6852,enlaRedInternacionaldelasPublicacionesaNivelMundialconcontrol,registro,programa.EstarevistaestáindizadaenlabaseperiódicadelaDirecciónde Bibliotecas, UNAM. Departamento de Bibliotecas y Servicios Especializados. Esta publicación ha sido aceptada como socio activo de laAsociación Mexicana de Editores de Revistas Biomédicas, A.C. En INTERNET, compilada en el Índice Mexicano de Revistas Biomédicas (IMBIOMED): www.imbiomed.com.mx

Arte, diseño y composición tipográfica por CASAEDITORIAL. Cel.: 55 8171-4702. Correo electrónico: g.rosales.j@hotmail.com

Oficinas: Calzada de los Misterios No. 559, local 1. Col. Industrial. C.P. 07800.Alcaldía GustavoA. Madero, Ciudad de México.

48
Imagen ponderada en T2W (p. 53). Extracción de cuerpos extraños. (p. 74).

Volumen 34, Número 2 • Mayo - Agosto 2023

Contenido Contents

Editorial

Fernando M. Viniegra-Rodríguez

Artículos de investigación

Abordaje diagnóstico y tratamiento de meningoencefalomielitis de origen desconocido en perros. . .

José Antonio Bautista-Gómez, Humberto Morales-Castro

Efecto de la Naloxona sobre la conducta sexual, el diámetro testicular y las características histológicas testiculares de conejos prepúberes de la raza Nueva Zelanda: estudio preliminar .

Brayam Hernández-Mota, Abril Contreras-Salazar, Jesús Alejandro Castillo-Vázquez, Monserrat Rosas-Mireles, Luz Elena Alvarado-Alemán, Alondra De la Torre-Díaz, Karmina López-Alcántara, Diana Hernández-Martínez, Alejandro Casas-Alvarado, Agatha Elisa Miranda-Cortés, Ismael Hernández-Ávalos

Artículo de revisión

La evolución humana vista a través de un gusano. . . . . . . .

Raúl Valadez-Azúa

Caso clínico

Urgencia gastrointestinal por cuerpos extraños. Reporte de un caso. . . . . . . . . . . . . .

Jorge Luna del Villar-Velasco, Norma Silvia Pérez-Gallardo

Fernando M. Viniegra-Rodríguez

Research articles

Diagnostic approach and treatment of meningoencephalomyelitis of unknown origin in dogs

José Antonio Bautista-Gómez, Humberto Morales-Castro

Effect of Naloxone on sexual behavior, testicular diameter, and testicular histology in prepubertal New Zealand rabbits: a preliminary study .

Brayam Hernández-Mota, Abril Contreras-Salazar, Jesús Alejandro Castillo-Vázquez, Monserrat Rosas-Mireles, Luz Elena Alvarado-Alemán, Alondra De la Torre-Díaz, Karmina López-Alcántara, Diana Hernández-Martínez, Alejandro Casas-Alvarado, Agatha Elisa Miranda-Cortés, Ismael Hernández-Ávalos

Review article

Human evolution seen through a worm. .

Raúl Valadez-Azúa

Clinical case

Gastrointestinal urgency due to foreign bodies. Reporting a case. . . . . . .

Jorge Luna del Villar-Velasco, Norma Silvia Pérez-Gallardo

Finochietto. . . . . . . . . . . . . . . . . . . . . . . . . . . . . . . . . . . . . . .50
. . . . . . . . . . . . . . . . . . . . .52
.
. . . . . . . . . . . . . . . . . . . . . . . . . . . . . . .56
.
.64
. . . . . . . . . . . . . . . . .71
. .
Editorial Finochietto. . . . . . . . . . . . . . . . . . . . . . . . . . . . . . . . . . . . . . .50
........................................................52
. . . . . . . . . . . . . . . . . . . . . . . . . . . . . .56
.
. . . . . . . . . . . . . . .64
. . . . . . . . . . . . . . . . . . . . . . . . . . .71
.

Viniegra-Rodríguez FM. Finochietto

AMMVEPE 2023; 34 (2): 50-51

EDITORIAL

Finochietto

Finochietto

Fernando M. Viniegra-Rodríguez*

La cirugía tiene motivos por los cuales apreciar el trabajo del Dr. Enrique Finochietto y su hermano Ricardo (Figura 1), también cirujano; de buena cuenta diseñó la pinza doble, usada para la hemostasia y como pasa hilos, el aspirador quirúrgico en un principio para limpiar el campo, valvas,cánulaparatransfusiones,bancoparaoperar sentado, mesa con pedales con motor eléctrico para colocar en mejor posición a los pacientes y, por supuesto, el separador intercostal (Figura 2) que lleva su nombre con un sistema de cremallera y dos brazos con valva para separar las paredes del tórax con seguridad tras la toracotomía, para facilitarelactoquirúrgicoforrandolaparedcostal si fuese el caso con las compresas de esponjear.1,2 Para satisfacer una necesidad en especial, siempre se admira el diseño y confección de los instrumentosqueestányapresentesenlaactividad quirúrgica de rutina y sobre todo en las manos del médico, que como se sabe los instrumentos son la prolongación de las manos del cirujano; en especial con referencia a los separadores mecánicos o automáticos, los cuales es posible colocarlos en las principales cavidades del cuerpo u otros planos en diversas situaciones a resolver, como es el caso de los separadores automáticos intercostales Finochietto, que se usan para cirugía de la cavidad torácica principalmente, aunque en ocasiones se adaptanparalacavidadabdominal,locualpermite la mejor realización del procedimiento quirúrgico, ydejaralprimerayudante“conmanoslibres”para asistir y dar apoyo al cirujano.

Ahora concedemos el honor al cirujano Enrique Finochietto, quien nació en Buenos Aires,

* Clínica privada.

Sobretiros: MVZ Fernando M. Viniegra-Rodríguez

Argentina (ni en Asia, ni en Europa como ha sido costumbre en relación al tema que nos ocupa, sí en América) la fecha de su natalicio 13 de marzo 1881, y fallece a los 66 años en 1948, después de una vida sin descanso en los hospitales donde atendió a sus enfermos.

EnriqueFinochiettocursósusestudiosprimarios en la escuela Nicolás Avellaneda y el bachillerato en el Colegio del Salvador, donde sobresalió en ciencias y dibujo, ingresó muy joven con 16 años (en 1897) a la Facultad de Medicina de la Universidad de Buenos Aires, se recibió a los 23 años;

Av. Pacífico, Núm. 468-4. Col. El Rosedal. C.P. 04330. Alcaldía Coyoacán, Ciudad de México, México Tels.: 55 5336-1849, 55 3533-0500. Correo electrónico: paleoliticomelesio@yahoo.com.mx

50
EDITORIAL
* Se citaron las referencias. Solicitamos su Vo.Bo.
AMMVEPE Vol. 34, No. 2 • Mayo-Agosto 2023 pp 50-51
Figura 1. Enrique y Ricardo Finochietto operando juntos (http://www.almarevista.com/revista/sin-categoria/enriquefinochietto-cirujano-docente-investigador-e-inventor/).

fue de larga trayectoria, pues recién recibido como médico interno del Hospital Rawson, viajó aEuropaparacontinuarconsupreparación;visitó diversos servicios en Francia,Alemania,Austria, Suiza, etc., sobresalen los servicios de Kocher, Roux,

AMMVEPE 2023; 34 (2): 50-51

Fue director de Anatomía en los primeros años, yluegopracticantedelHospitaldeClínicas,donde yaseperfilabacomocirujano.Allíestudiódosaños con el gran Dr. Alejandro Posadas quien funda en este lugar, la cirugía de tórax en 1895, fue investigador en el Laboratorio de Cirugía Experimental inició un método de arponamiento pulmonar, con el cual impidió el neumotórax espontáneo en el tratamiento de la cidatidosis pulmonar con pleura libre, quizá esto influyó en la necesidad de crear el separador al que nos referimos.

AsuregresodeEuropadurante1909seintegróal HospitalRawsondesusamores,comojefedeClínica, años después lo acompaña su hermano Ricardo Finochietto (Figura 3),en1914loresponsabilizan de la sala 8 como jefe de cirugía.2,3

Ofrece sus servicios con brillante actuación durante la Primera Guerra Mundial a Francia y se le proporcionalaJefaturadecirugíadelotroHospital ArgentinoAuxiliar 108 durante 1918, recibió por estolaMedalladelaGuerra,ylaLegióndeHonor.

En 1922 presidió la Sociedad de Cirugía de BuenosAires, y el Quinto CongresoArgentino de Cirugía. En 1934, se designa Miembro Honorario delaAcademiaNacionaldeMedicinaretrotrayendo pasajes y aportaciones de Charles Mayo, Harvey Cushing, Eduardo Wilde, etc. Su obra escrita de gran calidad lo representa con once tomos de Técnica Quirúrgica por los hermanos Finochietto, no pudiéndola terminar, sin embargo, su legado y su trayectoria estarán presentes con los grandes cirujanos de la cavidad torácica.

REFERENCIAS

1. https://www.google.com/search?q=enrique+finochie tto+biografia&client=avast-a-1&ei=JXZ1ZJLMMNi kptQPqe2_8AM&oq=+Enrique+finochietto

2. http://www.almarevista.com/revista/sin-categoria/ enrique-finochietto-cirujano-docente-investigadore-inventor/

3. Enrique Finochie. https://www.google.com/ search?client=avast-a-1&q=finochietto+instrumental +quir%C3%BArgico&oq=FINOCHIETO&aqs=avast.

3.69i57j0l7.8493j0j15&ie=UTF-8ttoenunaestampilla argentina de 1994«inventos argentinos»

51 Viniegra-Rodríguez FM. Finochietto
EDITORIAL
Figura 3. Enrique Finochietto en una estampilla argentina de 1994, que forma parte de una serie dedicada a ‘‘inventos argentinos’’(http://www.almarevista.com/revista/sin-categoria/ enrique-finochietto-cirujano-docente-investigador-e-inventor/). entre otros famosos. Figura 2. Separador costal Finochietto de 23 cm (https://www quirurgimedical.cl/separador-costal-finochietto-de-23cm).

ARTÍCULO DE INVESTIGACIÓN

AMMVEPE Vol. 34, No. 2 • Mayo-Agosto 2023 pp 52-55

Abordaje diagnóstico y tratamiento de meningoencefalomielitis de origen desconocido en perros

Diagnostic approach and treatment of meningoencephalomyelitis of unknown origin in dogs

RESUMEN

Las meningoencefalomielitis abarcan un grupo de enfermedades de origen inmune, que afectan el sistema nervioso central de manera multifocal, la signología es variada desde cambios de comportamiento hasta convulsiones. En ausencia de confirmación histopatológica el diagnostico se basa en imagen avanzada y hallazgos clínicos. El tratamiento es basado en fármacos inmunusupresivos. En el presente trabajo se muestran los resultados basados en resonancia magnética en el curso y evolución de la enfermedad descrita. La combinación de fármacos inmunosupresores parece mejorar la condición de los pacientes, pero no la resolución completa.

Palabras clave. Inflamación, epilepsia, inmune, citarabina, prednisona, resonancia magnética.

INTRODUCCIÓN

Las meningoencefalimielitis abarcan un grupo de enfermedades no infecciosas del sistema nervioso central, llamadas así por sus patrones inflamatorios no supurativos y acompañado de cambios neuropatológicos.1,2 La clasificación de meningoencefalomielitis de origen desconocido (MOD) incluyen varias enfermedades inflamatorias diferenciadas por histopatología, tales como meningoencefalitis necrotizante (MEN), leucoence-

* Instituto de Neurología y Reabilitación Veterinaria. Hospital Veterinario "Peques".

Sobretiros: MVZ José Antonio Bautista-Gómez

Tel.: 55 2894-7405

Correo electrónico: a.bautista.g@gmail.com

ABSTRACT

Meningoencephalomyelitis encompass a group of diseases of immune origin, which affect the central nervous system in a multifocal way; the signology is varied from behavioral changes to seizures. In the absence of histopathological confirmation, the diagnosis is based on advanced imaging and clinical findings. Treatment is based on immunosuppressive drugs. This paper shows the results based on magnetic resonance in the course and evolution of the disease described. The combination of immunosuppressive drugs seems to improve the condition of the patients, but not the complete resolution.

Key words. Inflammation, epilepsy, immune, cytarabine, prednisone, magnetic resonance.

falitis necrotizante (LEN) y meningoencefalomielitis granulomatosa (MEG).3 Los perros afectados pueden manifestar varios signos como letargia, cambios de comportamiento, giros, déficits visuales y conducir al desarrollo de epilepsia.4,5 En la ausencia de la confirmación histopatológica, el diagnóstico se basa en una combinación de hallazgos clínicos e imagen avanzada,1,3 siendo esta última el pilar en el diagnóstico por imágenes para MOD y otros trastornos del SNC.1,6 El uso de algunos fármacos inmunosupresivos son usados en el manejo de MOD, históricamente, cuando la prednisona es la punta de lanza en el tratamiento, pero cuando se ha usado como única terapia, la completa remisión es poco común y el pronóstico es pobre.7 Por esto, otros protocolos terapéuticos han sido implementados para ayudar al pronóstico de

Raza Cantidad YorkshireTerrier 3 Chihuahua 3 Pug 3 Shih-Tzu 1
Cuadro 1. Casosclínicosporraza.
Signos Pacientes Estadomentalalterado 6 Tetraparesianoambulatoria 2 Ataxia 4 Déficitspropioceptivos 6 Giros 2 Estrabismoposicionalventral 6 Convulsiones 2
Cuadro 2. Signologíaneurológica.

AMMVEPE 2023; 34 (2): 52-55

53
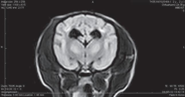
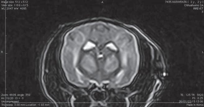
Bautista-Gómez JA, et al. Meningoencefalomielitis
A B C D
Figura 1. (A y C) Imágenes ponderadas en T2W. (B y D) FLAIR con lesiones hiperintensas en múltiples regiones encefálicas asociados a focos de edema con mayor evidencia en núcleos basales y tálamo (A, B) y lóbulos parietales y temporales (C y D).
A B C D
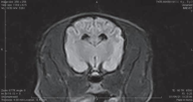
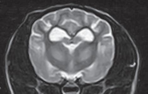
Figura 2. Imágenes ponderadas en T2W (A, C) y FLAIR (B, D) en las cuales se aprecia una disminución en las lesiones hiperintensas descritas en la figura 1.

Bautista-Gómez JA, et al. Meningoencefalomielitis

AMMVEPE 2023; 34 (2): 52-55

MOD, incluyendo el tratamiento con citarabina.

La citarabina (CA) es un análogo de núcleosidosintéticoantimetabolitoquepenetra la barrera hematoencefálica (BHE).8 Se ha reportado que la terapia combinada con prednisona y CA mejora las tasas de remisión temporal y a largo plazo y el pronóstico de los perros diagnosticados conMODencomparaciónconprednisona sola.9,10 El objetivo del siguiente estudio fue observar la respuesta clínica y la evaluaciónporresonanciamagnéticaposttratamiento con citarabina en infusión por 24horasymantenimientoconprednisona.

MATERIALES Y MÉTODOS

SepresentanalInstitutodeNeurología y Rehabilitación Veterinaria (INREVET) pocos, casos con historia clínica asociada a enfermedad neurológica (Cuadro 1) con signología neurológica multifocal (Cuadro 2), a todos los pacientes se les realizaron estudios de laboratorio (Hemograma, química sanguínea, urinalisis) sinhallazgosrelevantes.Unavezdefinido como lesión intracraneal se sometieron a resonancia magnética para su valoración. Paralosestudiosderesonanciamagnética lospacientesfueroninducidosconPropofol (Moveloc Baxter 200 mg/20mL) con dosis entre 2-4 mg/kg IV, colocados en decúbito esternal y usando un resonador abierto de 0.25 T (ESAOTE VET MR grande 0.25 software EVO 16) con múltiples secuencias (T1W, T2W, FLAIR, T2W*) multiplanar (Sagital, dorsal, transversal)utilizandogadolinio(Dotarem 0.5mmol/mL)comomediodecontrastea dosis de 0.05-0.1 mmol/kg IV.

Signos Pacientes

Estadomentalalterado 1

Tetraparesianoambulatoria 0

Ataxia 2

Déficitspropioceptivos 2

Giros 1

Estrabismoposicionalventral 6

Convulsiones 1

Conbasealosresultadosderesonancia magnética (Figura 1), raza y hallazgos neurológicos los pacientes fueron diagnosticados con enfermedad inflamatoria cerebral (Meningoencefalitis de origen desconocido) e iniciaron con una terapia basadaenStee2020,10 conlacombinación decitarabina(Cytosar-U®Pfizer500mg) a dosis de 100/m2 y prednisona a dosis de 1 mg/kg iniciales por 4 semanas (dosis reducción a 36 semanas), para posteriormente evaluar la evolución clínica del paciente y por imagen con las mismas indicaciones de resonancia previamente descritas.

RESULTADOS

En el presente estudio 5 de 6 pacientes mostraronunamejoracínicasignificativa, enunpaciente(Shih-tzu)elcualingresóen estatus epiléptico no presentó más crisis convulsivas ni se han reportado hasta el momento, el estado mental de los 6 pacientes mejoró de forma significativa, sólounpaciente(Yorkshire)conimágenes por resonancia magnética con herniación subfalcina continuó con giros, los déficits propioceptivos continuaron en 2 de 6 pacientes (Cuadro 3). En las imágenes por resonancia magnética posterior a las 4 semanas iniciado el tratamiento se vio unadisminucióndeledemareportadoque va desde el 85% hasta 50% (Figura 2).

DISCUSIÓN

El propósito del presente estudio fue determinar la relación entre la respuesta clínica y la evaluación de las imágenes por resonancia magnética en estudios seriados usando un protocolo de tratamiento basado zen las regiones con hiperintensidad enT2Wfue notoria en la mayoríadeloscasosdescritos.Sepresentó una predilección en hembras (4 de 6) como varios estudios han reportado.1,7,11 Dos casos se presentaron con convulsiones agudas sintomáticas, uno de ellos en estatus epiléptico, Kaczmarska, et al., reportaron una prevalencia del 50% de convulsiones,5 en algunos otros reportes varía del 23% al 37.5%.12,13 Se ha informado que la RM tiene una sensibilidad

del 94.4% y una especificidad del 95.5% para detectar una anomalía cerebral, con un rendimiento similarmente alto para clasificar enfermedades neoplásicas e inflamatorias,14 aunque actualmente no hay información disponible sobre el uso deresonanciamagnéticaparadiferenciar entrecasosconfirmadoshistopatológicamente de MEG, MEN, LEN.

Con respecto a los resultados del tratamiento, una revisión sistemática de Granger, et al., plantea varias preguntas, entreellas:¿Cuáleselmediopreferidode tratamientoconcorticosteroides(esdecir, dosis, categoría duración del tratamiento); ¿Otros protocolos de quimioterapia mejoran el resultado?; ¿Sería útil la combinación de tratamientos de radioterapia másinmunosupresión?Ensurevisión,no lograronidentificarunrégimeninmunosupresor“preferido”comoelqueexistepara otras enfermedades veterinarias.11

En el estudio de Stee, et al., identificaron que la mayoría de los perros parecen recaer, y la mayoría de ellos después de suspenderlaprednisolona,loquerequiere la necesidad de reanudar y mantener una pequeña dosis a largo plazo para permanecer en remisión. Este hallazgo plantea la cuestión de si los perros con MUO podrían beneficiarse de recibir una dosis muy pequeña de prednisolona a largo plazo en lugar de suspenderla a las 34 semanas.10 Nuestro estudio tiene limitaciones por la falta de evaluación de LCR y otras variables como peso, sexo, edad que se han relacionado en otros estudios, es necesario tener un grupo más grande y otros estudios para corroborar hipótesis como la de Stee, et al.

REFERENCIAS

1. Talarico LR, Schatzberg SJ. Idiopathic granulomatous and necrotising inflammatory disorders of the canine central nervous system. A review and future perspectives. J Small Anim Pract 2010; 51: 138-49.

2. Uchida K, Park E, Tsuboi M, Chambers JK, Nakayama H. Pathological and immunological features of canine necrotising meningoencephalitis and granulomatous meningoencephalitis. Vet J 2016; 213: 72-7.

3. Coates JR, Jeffery ND. Perspectives on meningoencephalomyelitis of unknown origin. Adv Vet Neurol 2014; 44: 1157-85.

54
Cuadro 3. Hallazgosclínicos.Postratamiento.

4. Windsor R, Stewart SD, Talboom J, Lewis C, Naymik M, Piras IR, Keller S, Borjesson DL, Clark G, Khanna C, Huebtelman M. Leucocyte and cytokine variavles in asymptomatic Pugs at genetic risk of necrotizing meningoencephalitis. J Vet Intern Med 2021; 35(6): 2846-52.

5. KaczmarskaA,Jose-LopezR,CzopowicsM, LazzeriniK,LeblondG,StallinC,GutierrezQuintanaR.Postencephaliticepilepsyindogs withmeningoencephalitisofunknownorigin: Clinical features, risk factors, and long-term outcome. J Vet Inter Med 2020;34(2):808-20.

6. YoungBD,LevineJM,FosgateGT,Lahunta AD, Flegel T, Matiasek K, Miller A, Silver G, Sharp N, Greer K, Schatzberg SJ. Magnetic resonance imaging characteristics of necrotizing meningoencephalitis in pugs dogs. Journal of Veterinary Internal Medicine 2009; 23: 527-35.

7. Munana KR, Luttgen PJ. Prognostic factors for dogs with Granulomatous meningoen-

cephalitis: 42 cases (1982-1996). Journal of the American Veterinary Association 1998; 212: 1902-6.

8. Scott-Moncrieff JCR, Chan CK, Samuels ML, Cook JR, Coppoc GL, DeNicola DB, Richardson RC. Plasma and cerebrospinal fluid pharmacokinetics of cytosine arabinoside and dogs. Cancer Chemotherapy and Pharmacology 1991; 29: 13-8.

9. Keegan S, Rose JH, Khan Z, Liebel FX. Low frequency of pre-treatment and posttreatment haematological abnormalities in dogs with non-infectious meningoencephalitis treated with cytosine arabinoside and prednisolone. Vet Rec Open 2019; 27; 6(1): e000315.

10. SteeK,BroeckxBJG,TargettM,GomesSA, LowrieM.Cytosinearabinosideconstantrate infusion without subsequient subcutaneous injectionsforthetreatmentofdogswithmeningoencephalomyelitis of unknown origin. Vet Rec 2020; 28; 187(11): e98.

AMMVEPE 2023; 34 (2): 52-55

11. Granger N, Smith PM, Jeffery ND. Clinical findings and treatment of non-infectious meningoencephalomyelitis in dogs: a systematic review of 457 cases from 1962 to 2008. Vet J 2010; 184: 290-7.

12. CornelisI,VolkHA,VanHamL,DeDecker S. Prognostic factors for 1-week survival in dogsdiagnosedwithmeningoencephalitisof unknown aetiology. Vet J 2016; 124: 91-5.

13. Coates JR, Barone G, Dewey CW, Vitale CL, Holloway-Azene NM. Procarbazine antemorten diagnosis of granulomatous meinincoencephalomyelitis: 21 cases (1984-2004) J Vet Intern Med 2007; 21: 100-6.

14. Wolff CA, Holmes SP,Young BD, ChenAV, KentM,PlattSR,SavageMY,SchatzbergSJ, Fosgate GT, Levine M. Magnetic resonance imagingforthedifferentiationofneoplastic, inflammatory, and cerebrovascular brain disease in dogs. J Vet Intern Med 2012; 26(3): 589-97.

55 Bautista-Gómez
JA, et al. Meningoencefalomielitis

Efecto de la Naloxona en conejos de la raza Nueva Zelanda

AMMVEPE Vol. 34, No. 2 • Mayo-Agosto 2023 pp 56-63

Effect of Naloxone on sexual behavior, testicular diameter, and testicular histology in prepubertal New Zealand rabbits: a preliminary study

Brayam Hernández-Mota,* Abril Contreras-Salazar,* Jesús Alejandro Castillo-Vázquez,* Monserrat Rosas-Mireles,* Luz Elena Alvarado-Alemán,* Alondra De la Torre-Díaz,* Karmina López-Alcántara,* Diana Hernández-Martínez,** Alejandro Casas-Alvarado,*** Agatha Elisa Miranda-Cortés,*** Ismael Hernández-Avalos****

RESUMEN

Los péptidos opioides endógenos (POE) modulan la neurosecreción de gonadotropinas, de forma que un aumento en su concentración a nivel del sistema hipotálamo-hipofisario se relaciona con una disminución de la liberación pulsátil de hormona luteinizante (LH) en la hipófisis anterior. El antagonista opioide Naloxona (Nx) es capaz de inhibir la actividad de los POE, incrementando la neurosecreción de LH y testosterona en los machos, lo que favorece la conducta sexual en diversas especies domésticas, incluido el conejo. El objetivo de este estudio preliminar fue evaluar los efectos de Nx sobre el comportamiento sexual, el diámetro testicular y las características histológicas de los testículos de conejos prepúberes. Se utilizaron seis conejos machos raza Nueva Zelanda con una edad promedio de 3.5 ± 0.1 meses y un peso promedio de 2.89 ± 0.13 Kg, distribuidos aleatoriamente en 2 grupos de tres individuos cada uno. El grupo control (G1; n = 3) fue tratado con 1 mL de SSF (0,9% NaCl) por vía intramuscular (IM) cada 24 h durante 15 días. El grupo experimental (G2; n = 3) fue medicado con Nx a la dosis de 0.04 mg/Kg IM cada 24 h por el mismo tiempo. Los resultados revelaron que ninguno de los animales tanto en G1 como en G2 logró el descenso testicular, por lo que no hubo conejos que intentaran montar o que pudieran haber eyaculado durante la evaluación (P > 0.05). Sin embargo, los conejos del G2 mostraron un mayor interés y un comportamiento de olfación mas

ABSTRACT

Endogenous opioid peptides (POE) modulate the neurosecretion of gonadotropins, such that an increase in their concentration at the level of the hypothalamic-pituitary system is related to a decrease in the pulsatile release of luteinizing hormone (LH) in the anterior pituitary gland. The opioid antagonist Naloxone (Nx) is capable of inhibiting the activity of POEs, favoring the neurosecretion of LH and testosterone in males, which promotes sexual behavior in various domestic species, including rabbits. The objective of this preliminary study was to evaluate the effects of Nx on sexual behavior, testicular diameter, and histological characteristics of the testis of prepubertal rabbits. Six New Zealand male rabbits with an average age of 3.5 ± 0.1 months and an average weight of 2.89 ± 0.13 Kg were used, randomly distributed in 2 groups of three individuals each. The control group (G1; n = 3) was treated with 1 mL of SSF (0.9% NaCl) intramuscularly (IM) every 24 h for 15 days. The experimental group (G2; n = 3) was medicated with Nx at a dose of 0.04 mg/Kg IM every 24 h for the same time. The results revealed that none of the animals in both G1 and G2 achieved testicular descent, so there were no rabbits that attempted to mount or that could have ejaculated during the evaluation (P > 0.05). However, G2 rabbits showed sustained interest and olfaction behavior from 6 days after Nx administration (P < 0.05) unlike G1; behavior that was maintained

* Alumnos de la asignatura Farmacología, Toxicología y Terapéutica Médico Veterinaria. UNAM. Facultad de Estudios Superiores Cuautitlán.

** M en MVZ. Diplomado en Patología Clínica. Clínica privada.

*** Profesor de asignatura A interino. Departamento de Ciencias Biológicas. Farmacología, Toxicología y Terapéutica Médico Veterinaria. UNAM. Facultad de Estudios Superiores Cuautitlán.

**** Profesor de Carrera Asociado B, tiempo completo. Departamento de Ciencias Biológicas. Farmacología Clínica y Anestesia Veterinaria. UNAM. Facultad de Estudios Superiores Cuautitlán.

Sobretiros: Dr en C. Ismael Hernández-Avalos. Correo electrónico: ismael.hernandez@cuautitlan.unam.mx

ARTÍCULO DE INVESTIGACIÓN
Efecto de la Naloxona sobre la conducta sexual, el diámetro testicular y las características histológicas testiculares de conejos prepúberes de la raza Nueva Zelanda: estudio preliminar

Hernández-Mota B, et al. Efecto de la Naloxona en conejos de la raza Nueva Zelanda

AMMVEPE 2023; 34 (2): 56-63

sostenido desde los 6 días después de la administración de Nx (P < 0,05) a diferencia de G1; comportamiento que se mantuvo hasta el final del experimento. El diámetro y longitud testicular evaluados después del sacrificio fue mayor en G2, siendo 1.5 ± 0.1 cm y 3.1 ± 0.1 cm, en comparación con G1 donde se registró 1.0 ± 0.1 cm y 2.5 ± 0.1 cm, respectivamente. Las características histológicas de los testículos se evaluaron mediante tinción con H&E y PAS. En los túbulos seminíferos de G2 se observó una moderada pérdida de estratificación celular con una ligera reducción del número de estratos que componen el epitelio germinal. En los mismos conejos también se observaron espermátidas gigantes multinucleadas localizadas hacia la luz de los túbulos seminíferos y un menor número de espermatozoides maduros. De igual forma, en G2, a nivel de la luz de los túbulos seminíferos, se pudo observar un mayor número de espermatocitos y restos celulares, así como un menor número de espermatozoides maduros. Se concluye que Nx mejoró el comportamiento sexual de los conejos tratados, además de aumentar el diámetro y la longitud testicular, modificando así las características histológicas del testículo en los conejos prepúberes estudiados, aunque no se logró el descenso testicular y la eyaculación.

Palabras clave. Naloxona, conejos, pubertad, función testicular.

INTRODUCCIÓN

El aparato reproductor del conejo tiene dos funciones primordiales: la producción de espermatozoides (función citógena) y la síntesis de hormonas sexuales (función endocrina).1 La función de las gónadas es regulada por la hipófisis anterior mediante la secreción degonadotropinastantoenmachoscomo en hembras, siendo las más importantes la FSH (hormona folículo estimulante) y LH (hormonaluteinizante).1,2Asu vez, la hipófisis está regulada por el hipotálamo mediante la neurosecreción pulsátil de GnRH.3 De esta manera, el control endocrino del funcionamiento testicular está dado por el eje hipotálamo hipófisisgonadal (HHG), donde el órgano blanco deestashormonaseseltejidotesticular,el cualproducehormonasesteroidescomola testosterona y una hormona glicoproteica llamada inhibina, quienes participan en el mecanismo de realimentación negativa hacia el mismo eje.1,4

Otros neurotransmisores que pueden afectar la regulación del eje HHG son los péptidos opioides endógenos (POE), quienes incluso han mostrado su participación en la expresión de la conducta reproductivaalinhibirlasecrecióndeLH y GnRH.3,5,6 La fisiología de los POE se ha relacionado también con su secreción a nivel hipofisario e hipotalámico en los sistemas neurales involucrados con el dolor,enlaproliferacióncelular,enelcontrol

until the end of the experiment. The testicular diameter and length evaluated after the sacrifice was greater in G2, being 1.5 ± 0.1 cm and 3.1 ± 0.1 cm, compared to G1 where there was a record of 1.0 ± 0.1 cm and 2.5 ± 0.1 cm, respectively. The histological characteristics of the testis were evaluated by H&E and PAS staining. In the seminiferous tubules of G2, a moderate loss of cell stratification was observed with a slight reduction in the number of strata that make up the germinal epithelium. In the same rabbits, multinucleated giant spermatids located towards the lumen of the seminiferous tubules and a lower number of mature spermatozoa were also observed. Similarly, in G2, at the level of the lumen of the seminiferous tubules, it was possible to observe a greater number of spermatocytes and cell debris, as well as a lower number of mature spermatozoa. It is concluded that Nx improved the sexual behavior of the treated rabbits, in addition to increasing testicular diameter and length, thus modifying the histological characteristics of the testis in prepubertal rabbits, although testicular descent and ejaculation were not achieved.

Key words. Naloxone, rabbits, puberty, testicular function.

cardiovascular, el estrés y en la respuesta inmune.7

Estos POE son clasificados en tres grupos:encefalinas,dinorfinasyendorfinas,quienesejercensuactividadsegúnsu afinidad por los receptores opiáceos que son: alfa (α), beta (β), delta (δ), epsilon (ε), kappa (κ), lambda (λ), mu (µ) y sigma(σ).8 Losreceptoresopioidespertenecen a la gran superfamilia de receptores acoplados a la proteína G. Ellos actúan a través de esta proteína para inhibir la adenil-ciclasa,aumentandolascorrientes de potasio, inhibiendo la actividad de los canales de calcio, modulando la rotación de inositol trifosfato y finalmente, activando la proteína quinasa mitógenoactivada. Estas acciones culminan en la atenuación de la actividad neuronal mediante la inhibición de la liberación de neurotransmisores y el cambio de la excitabilidad neuronal. La mayoría de los genes están compuestos por múltiples exones que deben ser empalmados conjuntamente para generar el mRNA que, a su vez, produce la respuesta en el receptor µ.8,9

Enlamodulacióndelaconductasexual sehanutilizadoantagonistasdeopioides, particularmente la naloxona (Nx).10,11 Estefármacoesunderivadodelatabaína que a dosis bajas tiene una alta afinidad por los receptores opioides µ1 y µ2, en comparaciónconelreceptoropioide δ,en el que se requieren altas dosis de Nx para ejercer el bloqueo de dicho receptor.9,12

Estefármacosehautilizadoentrabajos experimentalesenhembrasparalainducciónysincronizacióndecelosenhembras, neurosecretor de LH, estimulante de la receptividad sexual, fertilidad y prolificidad,uniformadordecuerposlúteosparala transferencia de embriones y tratamiento dequistesfoliculares,8,11,13 mientrasqueen machossehautilizadoparaincrementarla libido, el diámetro testicular y los niveles séricos de testosterona.10,14-18 Por tanto, el objetivo del presente estudio preliminar fue evaluar los efectos de la Nx sobre la conducta sexual, diámetro testicular y características histológicas del testículo en conejos prepúberes de la raza Nueva Zelanda.

MATERIAL Y MÉTODOS

El presente estudio preliminar fue un estudioprospectivo,aleatorioyciegoque se realizó durante noviembre de 2022 en el módulo de conejos del Centro de Enseñanza Agropecuaria de la Facultad de Estudios Superiores Cuautitlán de la Universidad Nacional Autónoma de México (UNAM). Esta zona se orienta geográficamente a 19º43’ latitud norte y 19º10’longitud oeste, a 2,252 metros sobre el nivel del mar. En esta zona el clima se encuentra tipificado como templado subhúmedo con lluvias en verano de humedadmediaC(w1)dondelatemperatura promedio anual es de 15.7 ºC, siendo la máxima de 27.8 ºC.

57

Hernández-Mota B, et al. Efecto de la Naloxona en conejos de la raza Nueva Zelanda

AMMVEPE 2023; 34 (2): 56-63

Los conejos que integraron el estudio fueron 6 machos prepúberes de la raza Nueva Zelanda con una edad promedio de3.5±0.1mesesyunpesopromediode 2.89 ± 0.13 Kg al inicio del experimento. Durante el desarrollo de la investigación, los conejos fueron colocados en jaulas tipo flackdeck individuales de 60 cm de ancho, 90 cm de largo y 40 cm de altura, con una alimentación a base de concentradocomercial(91%MS,proteína cruda 14.5%; EM 2400 Kcal), agua ad libitum ybajocondicionesdeiluminación de12hluz/12hoscuridad.Losanimales se agruparon de forma aleatoria en 2 grupos de tres individuos cada uno. El grupo control (G1; n = 3) fue tratado con 1 mL deSSF(NaCl0.9%)porvíaintramuscular (IM) cada 24 h durante 15 días. El grupo experimental(G2;n=3)fuemedicadocon Nx a una dosis de 0.04 mg/Kg por vía IM cada 24 h durante el mismo tiempo. La dosis calculada fue aforada a 1 mL con SSF para que tuviera el mismo volumen a administrar que el G1.

El presente estudio se realizó bajo las directrices establecidas en la Norma Oficial Mexicana NOM-062-ZOO-1999 intitulada, Especificaciones técnicas para la producción, cuidado y uso de los animales de laboratorio.

Conducta sexual

Este parámetro en los conejos prepúberes fue evaluado a través de una escala simple con los siguientes indicadores y puntuaciones: agresividad = 0, desinterés = 1, interés y olfación sostenida = 2, intento de monta = 3 y eyaculado = 4. Para lograr la estimulación de la conducta se utilizó a una hembra en celo y una vagina artificial a temperatura de 42-43 ºC.

La evaluación de la conducta se hizo losdías0,1,2,3,4,5,6,7,8,9,10,11,12, 13,14y15delexperimento,considerando solo un estímulo por día.

Diámetro testicular

Ningunodelosconejosprepúberesque integraron el estudio tenían descendidos los testículos al momento de iniciar el experimento, por lo que esta variable fue

medidaposterioralsacrificiohumanitario delosconejos,utilizadouncalibradorvernier. Se obtuvieron medidas de diámetro y largo de los testículos, reportando las mediciones en cm.

Características histológicas

Una vez transcurridos los 15 días de la administracióndeNxydelplaceboenlos grupos de estudio, se procedió a realizar el sacrificio humanitario de los conejos conforme al método descrito en la Norma Oficial Mexicana NOM-033-SAG/ZOO2014intituladaMétodosparadarmuertea losanimalesdomésticosysilvestres.Esto conlafinalidaddeenviarallaboratoriolos testículosparasuanálisishistológico.Las muestrasfueronenviadasenrefrigeración a una temperatura de 4-5 ºC debidamente

identificadas y procesadas bajo la tinción de hematoxilina-eosina (H&E).

Analísis estadístico

Los datos obtenidos se analizaron utilizando el software estadístico GraphPad Prism versión 9.5.1 (GraphPAd Software Inc., CA, USA). Los resultados de la variable conducta sexual fueron expresados como mediana ± error estándar de la media(EEM)yanalizadosatravésdeuna pruebanoparámetricadeKruskal-Wallis, utilizando una prueba post-hoc de Dunn. Los valores de P < 0.05 fueron consideradosestadísticamentesignificativos.Por otra parte, los resultados de las variables diámetro testicular evaluados posterior al sacrificioylascaracterísticashistológicas fueron presentados primariamente en un

Cuadro 1. Registrodelapuntuaciónobservadadurantelaevaluacióndelaconductasexual.Los resultadosseexpresancomoMediana±EEM.

*Indicadiferenciaestadísticamentesignificativaentregruposdeestudio(P<0.05).Losindicadores medidosfueronagresividad=0,desinterés=1,interésyolfaciónsostenida=2,intentodemonta =3yeyaculado=4.

58
Díadeevaluación G1(n =3) G2(n =3) ValorP Basal(0) 1±0.3 1±0.0 0.99 1 1±0.0 1±0.0 0.99 2 1±0.0 1±0.0 0.99 3 1±0.3 1±0.0 0.98 4 1±0.3 1±0.3 0.99 5 1±0.3 1±0.3 0.99 6 1±0.3 2±0.3* 0.005 7 1±0.5 2±0.0* 0.04 8 1±0.3 2±0.0* 0.005 9 1±0.3 2±0.0* 0.005 10 1±0.0 2±0.0* 0.005 11 1±0.3 2±0.3* 0.005 12 2±0.3 2±0.0 0.99 13 1±0.3 2±0.0* 0.005 14 1±0.0 2±0.0* 0.005 15 1±0.0 2±0.0* 0.005
Diámetrotesticular G1(n=3) G2(n=3) Largo 2.5±0.1cm 3.1±0.1cm Diámetro 1.0±0.1cm 1.5±0.1cm
Tabla 2. DiámetroylargotesticulardelosconejosprepúberesderazaNuevaZelandadeambos gruposdeestudio,obtenidasposterioralsacrificiohumanitariodelosanimales.

Hernández-Mota B, et al. Efecto de la Naloxona en conejos de la raza Nueva Zelanda

AMMVEPE 2023; 34 (2): 56-63

cuadro y en descripción en fotografías comparativas, respectivamente.

RESULTADOS

En el cuadro 1 se muestran los resultados referentes a la evaluación de la conductasexualdelosconejosprepúberes de raza Nueva Zelanda. Cabe destacar que en ninguno de los animales de ambos gruposdeestudioselogróundescensode los testículos, por lo que no hubo conejos que hicieran un intento de monta o que pudieran haber eyaculado. Sin embargo, los animales del G2 mostraron mayoritariamente un comportamiento de interés y olfación sostenida apartir de los 6 días de la administración de Nx, a diferencia de los animales del G1 quienes se mostraron en una conducta de desinterés e incluso agresivos durante el periodo de investigación. Cabe destacar que este comportamiento se mantuvo hasta el final del experimento, por lo que se puede inferir que la administración de Nx pudo inducir uncambiopaulatinoenlaconductasexual del G2.

En el cuadro 2 se presentan las mediciones de diámetro y largo testicular de ambos grupos de estudio, donde se puede observar que los animales tratados con Nx (G2) tuvieron un mayor registro en las variables medidas, a pesar de que ninguno de los conejos que se utilizaron enelpresenteexperimento(n=6)mostró un descenso testicular.

La comparativa de resultados a nivel histológico se presenta en las figuras 1-5, por lo que en cada una de ellas se describen los cambios observados en los cortes preparados.

DISCUSIÓN

La investigación como un proceso sistemático, organizado y objetivo, está destinado a responder una pregunta de investigación. Por ello, en ciencias biomédicas con la finalidad de reducir los errores en la investigación, se acepta el diseñodeestudiospreliminarescomoloes elpresenteestudio.Estossonimportantes porque permiten recabar información, datos y antecedentes necesarios para

poder definir los diseños experimentales o estadísticos, e incluso mejorar los procedimientos de los futuros proyectos de investigación,obteniendoasídiseñosmás completos,demejoralcanceeconómicoy quesepuedanrealizarenmenorestiempos deejecución.19 Enelpresenteestudiopreliminar fue posible evaluar los efectos de la Nx sobre la conducta sexual, diámetro testicular y características histológicas del testículo en conejos prepúberes de la raza Nueva Zelanda, bajo la hipótesis de que los antagonistas opioides permiten la activación del eje HHG.

En este sentido, los antagonistas opiáceos como la Nx tienden a aumentar en losmachoselvolumendeeyaculado,evidenciaquesugierequeestarespuestaesta mediada por estimulación de receptores opiáceos m.11,20,21 Los POE participan en la regulación de la secreción hipofisaria a travésdeefectosinhibidorestónicossobre la descarga de hormonas hipotalámicas comolaGnRHyCRH.Porlotanto,laadministracióndeNxpodríaincrementarlas concentraciones plasmáticas de LH, FSH y ACTH,3,9 lo mismo que las hormonas

59
Figura 1. Características histológicas testiculares de los conejos que integraron el estudio (muestras teñidas con H&E, observadas con un aumento de 400x). A nivel testicular, los túbulos seminíferos de los animales tratados con Nx muestran una moderada pérdida de la estratificación celular, así como una ligera reducción en la cantidad de estratos que conforman el epitelio germinal (1A), cuando se comparan con el grupo control (1B).
B
A

Hernández-Mota B, et al. Efecto de la Naloxona en conejos de la raza Nueva Zelanda

AMMVEPE 2023; 34 (2): 56-63

Características celulares a nivel de túbulos seminíferos (muestras teñidas con H&E, observadas con un aumento de 400x). Se encuentran constantes espermátidas gigantes multinucleadas ubicadas hacia la luz de los túbulos seminíferos en los animales tratados con Nx.

espermáticas (muestras teñidas con H&E, observadas con un aumento de 400x). Se observa un menor número de espermatozoides maduros (3A) en comparación a lo observado en el grupo control (3B).

60
Figura 2.
A B A
B
Figura 3. Características

Hernández-Mota B, et al. Efecto de la Naloxona en conejos de la raza Nueva Zelanda

AMMVEPE 2023; 34 (2): 56-63

A B

4. Características del epidídimo de los conejos tratados con Nx (muestras teñidas con H&E, observadas con un aumento de 100x y 400x). En aquellos animales que recibieron Nx no se observaron cambios significativos en la estructura histológica de los túbulos eferentes, sin embargo, a nivel de la luz del túbulo se logra observar una mayor cantidad de espermatocitos y restos celulares, así como menor cantidad de espermatozoides maduros.

A B

5. Características del epidídimo de los conejos del G1 o control (muestras teñidas con H&E, observadas con un aumento de 400x y 100x). En comparación a los cortes de pacientes del G2, en estas imágenes se aprecian ocasionales espermatocitos y una mayor cantidad de espermatozoides maduros.

61
Figura Figura

Hernández-Mota B, et al. Efecto de la Naloxona en conejos de la raza Nueva Zelanda

AMMVEPE 2023; 34 (2): 56-63

producidas por sus órganos blancos, tal es el caso de la testosterona.22 En el presente estudio se encontró que losconejosquerecibieronNx(G2)durante15días,mostraronunmayorinteréspor las hembras en celo, conducta sexual que fue aumentando con el paso de los días sin llegar a un intento de monta y eyaculación, en comparación con el G1 que se mostró más desinteresado e incluso en algunosmomentosdelaevaluaciónhasta agresivos o indiferentes del medio, por lo quesepuedeinferirquelaadministración de Nx pudo inducir un cambio paulatino en la conducta sexual del G2. De esta manera,segúnHernández,11 algunasmanifestacionesdelcomportamientosexualde los conejos incluyen el olfateo constante; conducta realizada para intercambiar información entre los dos individuos. No obstante, también se ha descrito que los conejos machos tienden a frotarse sobre una serie de objetos inanimados o sobre la misma hembra para marcar los objetos con las secreciones olorosas personales producidas por las glándulas inframandibulares.16 Esta descripción conductual da pie a interpretar que, si bien, los conejos delpresenteestudionoestabanlistospara copularpuestoquefueronanimalesprepúberes, sí fueron preparándose y teniendo comportamientosreproductivosqueconel paso de los días se fueron intensificando con la administración de Nx.

Villagrán,20 empleó Nx para caracterizarlaspautasnormalesdelcomportamiento sexual del macho Nueva Zelanda antes y/o durante el apareamiento, tomando en consideraciónestimadoresdeagresividad sexual (eneuresis, grasping y pateo de piso) y estimadores del desarrollo sexual (número de montas, tiempo de latencia entremontas,tiempoentremontayeyaculación, número de eyaculaciones, tiempo de latencia entre eyaculación y monta), concluyendo que el comportamiento sexual se encuentra mediado por POE, siendo así posible manipular la conducta sexual del conejo.

Asimismo, Fuentes,14 Villagrán,21 así como Branson y Majorie,4 opinan que es posible manipular la conducta sexual de machos y hembras de varias especies domésticas,entreellas,elconejo.Loanterior

coincide con los resultados obtenidos en el presente estudio, ya que al existir un mayor nivel en la testosterona sérica y/o plasmática,laconductasexualyeldiámetro testicular tienden a incrementarse. De acuerdoconHafezyHafez,1 esteaumento de andrógenos permite el incremento del tamaño testicular, el mejoramiento de la calidad seminal y la líbido, donde al igual quelosinvestigadorescitados,Hernández et al., 23 sugieren que esta respuesta es mediada por estimulación de receptores opioides.

A este respecto de la modulación de la conducta sexual, Fuentes, et al., 17 realizaron un estudio en 12 conejos machos adultosdediferentesedadesentrelos14y 20mesesconunfotoperíodonaturalde12 horasluzy12oscuridad,endondeambos gruposrecibieronunimplantesubcutáneo deNxcon8mg,elcualfuediseñadopara absorberse en 15 días, mismo periodo de administración que el planteado por el presente estudio. Estos autores concluyeron, que tanto los machos jóvenes como los adultos, incrementaron su número de montas después de la administración del opioide, sugiriendo que la Nx es capaz de mejorar la libido de los animales.

En cuanto al tamaño de los testículos, Alcázar,10 menciona que en los conejos adultos estas estructuras miden aproximadamente de 2 a 4 cm dependiendo de su edad. Sin embargo, en el presente estudio preliminar una limitante fue que los animales prepúberes utilizados en el experimento no mostraron un descenso testicular, por lo que no pudieron ser evaluados en cuanto a diámetro y largo al momento de iniciar el estudio. Una vez realizadas las eutanasias y necropsias de los semovientes de ambos grupos, se encontró que los testículos de los conejos a los que se les administró Nx tenían una diferencia de tamaño a su favor.

Pineda, et al.,24 enunestudiorealizado en el altiplano mexicano reportan que conejosmachosprepúberesdelarazaNueva Zelandablancodeseissemanasdeedady quefuerontratadosconNxadosisde0.04 mg/Kgpordía,manifestaronundescenso total de los testículos a partir de las dos semanas de haber iniciado el tratamiento. Así mismo, estos autores reportan que en

el grupo experimental, el promedio del ancho testicular fue de 1.300 ± 0.0145 cm y el largo testicular de 4.300 ± 0.058 cm, valores que presentaron diferencia estadística (P< 0.05) en relación al grupo testigo. Estos mismos autores concluyen que la administración de Nx produce un descenso precoz de los testículos, así como un aumento en el tamaño testicular y que por lo tanto se alcanza en menor tiempo la pubertad, lo que es congruente con nuestros resultados a excepción del descenso testicular. Es importante tomar en cuenta que en el estudio de Pineda y Ramírez,24 los conejos fueron tratados durante 3 semanas y con dosis de 0.004 mgdeNxadiferenciadelopropuestopor nuestro diseño experimental.

Otrasevidenciasacercadelasventajas delusodeNxenconejoshansidopublicadasporFuentes, et al.,15 yFuentes, et al., 17 quienesensusrespectivasinvestigaciones observaron un incremento significativo en el número de montas continuas, concluyendo con base en sus hallazgos que el comportamiento sexual del conejo está mediado por receptores opiáceos.

Así también, Hernández,25 al realizar un trabajo con conejos de la raza California en el altiplano mexicano, reporta que la Nx no influye en el tiempo de reacción a la monta, sin embargo a pesar de no haber obtenido en sus resultados diferencia significativa (P > 0.05), concluye que el antagonista opioide muestra la tendencia de disminuir el tiempo de reacción entre los grupos tratados, por lo que este autor considera que este fármaco puede ser una alternativa terapéutica no hormonal para mejorar el comportamiento reproductivo de esta especie, además de optimizar el uso de los machos y de reducir el tiempo que destina el productor para manejarlos.

Con la evaluación y análisis de estos trabajos, se puede inferir que el antagonista opioide puede influir en el comportamiento reproductivo de los machos de esta especie. Por tanto, los resultados de nuestrainvestigaciónpreliminarimpactan directamentesobrelareproduccióndeesta especie,yaquesiselograobtenermachos sexualmente activos a temprana edad, se mejoraría la actividad reproductiva en

62

Hernández-Mota B, et al. Efecto de la Naloxona en conejos de la raza

las unidades de producción pecuaria y se tendrían mejores ganancias para los cunicultores y productores.

Sin embargo, el presente estudio preliminar tuvo algunas limitantes que requieren discusión. Por ejemplo, la falta de medición de los niveles séricos de testosterona para correlacionar los hallazgos observados con los niveles hormonales séricos o plasmáticos, donde investigadores como Pedrón, et al., 22 y Hernández-Avalos,11 observaron que la Nxinfluyepositivamentesobrelosniveles plasmáticos de la testosterona, al estudiar conejos machos adultos de la raza Nueva Zelanda y California, respectivamente. Otralimitantefuelaedaddelossemovientes, ya que si estos hubiesen sido de una edadmásavanzada,loscambioshistológicos pudieron haber sido más congruentes y concluyentes en favor de la utilización de la Nx, ya que la pubertad y conducta sexualdelosconejossedesarrollaapartir delos5meses.Duranteestainvestigación, otrofactorqueinfluyódirectamenteenlos resultados fue el tamaño de muestra, no obstante, al ser un estudio preliminar se pudocontribuiracontinuarconeldesarrollodeáreasdeinvestigaciónrelacionadas. Finalmente, otro elemento de discusión es la falta de experiencia sexual de cada conejo prepúber.

Enconclusión,laNxmejorólaconducta sexual de los conejos tratados, además de que incrementó el diámetro y largo testicular, modificando así las características histológicas del testículo en conejos prepúberes.

REFERENCIAS

1. Hafez ESE, Hafez B.Anatomía del aparato reproductor del macho. Capítulo 1. En Reproducción e InseminaciónArtificial en Animales. Séptima Edición. Editorial Mc Graw- Hill Interamericana. México. 2002.

2. KimKH,LeeBJ,LeeCC,ChoWK,Ramírez, VD.Adrenergic mediation of naloxone – induced, GnRH release from hypothalamic of

ovariectomized, steroid-threared immatured rats. Acta endocrinol 1991; 125(6): 680-6.

3. Enríquez GA. El control opiodérgico del Clorhidrato de Naloxona sobre los mecanismos reproductivos en los animales domésticos (estudio recapitulativo). Tesis Licenciatura.FESC–UNAM.México.2003.

4. BransonK,MarjorieEG.Agonistasyantagonistas opioides. Cap. 13 En: Farmacología y terapéutica veterinaria. 2a edición. Editorial Acribia. España. 2003.

5. Crosgrove JR, De Rensis F, Foxcroft GR. Opioidergic pathways in animal reproduction: Their role an effects on their pharmacologicalcontrol. Anim Reprod Sci 1993;33: 373-92.

6. Rosano LMA. El efecto de la Naloxona sobre la receptividad sexual de la coneja Nueva Zelanda. Tesis Licenciatura. FMVZ – UNAM. México. 1991.

7. Asai M,Valdés-Tovar M, Matamoros-Trejo G, García D. La melatonina induce la síntesis y liberación de las encefalinas en el cerebro de la rata. Salud Mental 2010; 33 (2): 123-31.

8. Hernández AI, Ruiz CJG, Ruiz RMA, Ruiz CJJ, Miranda CAE. Péptidos opioides endógenos (POE): su control sobre la reproducción. Rev AMMVEPE 2006; 16(3): 255-63.

9. Gutstein HB, Akil H. Analgésicos opioides. En:LasBasesFarmacológicasdelaTerapéutica. Goodman and Gilman Editores. Vol. 1. capítulo 23. 10ª edición. Editorial Mc Graw Hill. Interamericana. México. 2003.

10. Alcázar NA. El efecto de la Naloxona sobre el diámetro testicular y la líbido del conejo. Tesis de Licenciatura. FMVZ - UNAM. México. 1991.

11. Hernández-Avalos I. Evaluación del comportamientoreproductivodeconejosderaza californiaduranteuncicloanualyvaloración del efecto de la naloxona sobre su función testicular.TesisMaestría.PICP.Universidad de Colima, México. 2009.

12. RuizCJG.HernándezAI.BasesdeFarmacologíaparaMédicosVeterinariosZootecnistas. 1ª edición. Editorial UNAM. México. 2005.

13. DeLeónTM,GarcíaCJ,PadillaR.Efectode la Naloxona como uniformador de cuerpos lúteos para transferencia de embriones. En Memorias del IX Congreso Nacional Caprino. Nuevo León, México. 1992.

14. Fuentes HVO. Infertilidad en el perro. El uso de la naloxona en un caso clínico de infertilidadenunFrenchpoddleToymacho. Vet Méx 1991; 22(2): 191-2.

AMMVEPE 2023; 34 (2): 56-63

15. Fuentes VO, Villagrán C, Orozco R, Álvarez JJ.Thepharmacologicaleffectofsmalldoses of naloxone on sexual exhaustion in White New Zealand male rabbits. En Memorias del American Dairy Science Association, American Society in Animal Science and Animal Science Mexican Association of Animal Production. Phoenix,Arizona. USA. 2003.

16. Fuentes VO, Villagrán C, Navarro J. Sexual behaviorofmaleNewZealandWhiterabbits inanintensiveproductionunit. Anim Reprod Sci 2004; 80(1-2): 157-62.

17. FuentesVO,VillagránC,NavarroJ,Fuentes PI. Effect of small doses of naloxone on sexual exhaustion in White New Zealand malerabbits. Anim Reprod Sci 2005;90(3-4): 341-6.

18. Guzmán PNG. Efecto de la Naloxona sobre losnivelesséricosdetestosteronaenconejos machosderazaCalifornia.TesisLicenciatura. FESC. UNAM. México. 2008.

19. Gil LF. Fase preliminar de un proyecto de investigación. Rev Clin Med Fam 2010;3(1): 46-50.

20. Villagrán VC. Efecto de los antagonistas opiáceos(Naloxona)sobreelcomportamiento sexual del conejo macho Nueva Zelanda (Oryctolagus cuniculus). Seminarios 98-1. Ciencias Pecuarias. Avances de Investigación.PICP.UniversidaddeColima.México. 1998.

21. Villagrán C, Navarro J, Fuentes VO. Sexual exhaustion in White New Zealand male rabbits of different ages. Anim Reprod Sci 2003; 76(3-4): 251-5.

22. Pedrón N, Pedroza D, Calzada E, Salazar L, Fuentes V. Effect of Naloxone on serum Testosterone in adult male rabbits. Archiv Androl 1996; 37: 15-8.

23. HernándezAI,RuizCJG,Ruiz RMA,Esperón SAE, Ruiz CJJ. Efecto de un opioide sobre el volumen y concentración espermática enconejosderazaCaliforniadurantelaépoca de reposo sexual (Resultados preliminares). Rev de Ciencia, Biodiversidad y Tecnología Agropecuaria 2006; 3(1): 1-5.

24. Pineda RF, Ramírez MLG. Efecto de la Naloxona en conejos machos prepúberes de la raza Nueva Zelanda. Tesis Licenciatura. FESC. UNAM. México. 2008.

25. Hernández MM. Efecto de la Naloxona sobre el tiempo de reacción a la monta y su correlación con los niveles séricos de Testosterona en conejos machos adultos de larazaCalifornia.TesisLicenciatura.FESC. UNAM. México. 2008.

63

La evolución humana vista a través de un gusano

Human evolution seen through a worm

RESUMEN

El mundo de los parásitos involucra un universo de interacciones equivalente al del mundo exterior, dentro del cual ambos interactúan, derivando en procesos adaptativos y evolutivos impulsados en ambos ámbitos. Desde esta perspectiva, nuestra especie, en su condición de hospedero, constituye el nicho del parásito, el cual puede ser destruido o mínimamente dañado por éste, en función de aspectos como el tiempo que lleva la relación. En el caso del género Taenia, cuyos hospederos temporales son cerdos y bóvidos y el definitivo es Homo sapiens, los esquemas de su ciclo de vida y el estudio de su ADN permite reconocer que se convirtió en parásito de los homínidos hace tres o cuatro millones de años, tomando a los australopitécidos de la época como hospederos temporales por su condición básicamente herbívora. Dicho esquema fue variando al paso del tiempo, en la medida que Homo fue moviéndose en la pirámide trófica hacia la condición de depredador secundario por el incremento gradual del aporte de carne y médula en su dieta proveniente de suidos y bovinos, hasta pasar a ser hospedero definitivo de especies como Homo erectus y otras contemporáneas. Su dispersión en Asia favoreció la especiación de Taenia y la llegada del ganado doméstico su dispersión posterior por todo el mundo.

Palabras clave. Evolución, parasitismo, Homo, cestodos.

LOS BUENOS PARÁSITOS

Estaidea,sinduda,pareceunpocoextrañaalmomentodereflexionarla,¿Desde cuándo un parásito es algo bueno?

Hace muchos años un profesor de la carrera de biología comentó que había buenosymalosparásitosyqueelelemento distintivo es el destino del hospedero. Si la presencia del parásito derivaba en la muerte de hospedero, era malo y si no producía efectos de este nivel, entonces era bueno. En lo personal me pareció una idea que invitaba a la reflexión.

* Laboratorio de Paleozoología, Instituto de Investigaciones Antropológicas. UNAM,

Sobretiros: MVZ Raúl Valadez-Azúa

Correo electrónico: raul_valadez@hotmail.com.

ABSTRACT

The world of parasites involves a universe of interactions equivalent to that of the outside world, within which both interact, resulting in adaptive and evolutionary processes promoted in both areas. From this perspective, our species, in its capacity as host, constitutes the parasite’s niche, which can be destroyed or minimally damaged by it, depending on aspects such as the length of time the relationship takes. In the case of the genus Taenia, whose temporary hosts are pigs and bovids and the definitive one is Homo sapiens, the diagrams of its life cycle and the study of its DNA allow us to recognize that it became a parasite of hominids three or four million years ago, taking the australopithecines of the time as temporary hosts due to their basically herbivorous condition. This scheme was changing over time, as Homo moved in the trophic pyramid towards the status of secondary predator due to the gradual increase in the contribution of meat and marrow to its diet from suidae and bovines, until it became a host definitive of species such as Homo erectus and other contemporaries. Its dispersal in Asia favored the speciation of Taenia and the arrival of domestic cattle, its subsequent dispersal throughout the world.

Key words. Evolution, parasitism, Homo, cestodes.

La relevancia del calificativo no involucraba ningún pensamiento de índole moralista, más bien se dirigía a una dinámica biológica: para un parásito, el hospedero es su ambiente, su territorio, su hogar, de modo que, si su presencia involucra su muerte, también se tendría como consecuencia su propia desaparición. Visto de esta forma, conducir su modus vivendi hacia su autodestrucción lleva a la imagen de “mal parásito”; por el contrario, uno que altera mínimamente la salud del hospedero y permite que uno y otro continúen con su vidaes,por tanto, “un buen parásito”.

Un ejemplo muy reciente sobre esta idea la tenemos con la pandemia de COVID 19 o SARS-CoV-2. En el primer año (2020)lasvariantesdominantesteníanuna altatasadeinfecciónydemortandadpara elinfectado,1 deahítodasuertedemedios

que se emplearon para limitar el contagio y,comounaaltaproporcióndeinfectados morían, el esfuerzo humano se redobló, buscando limitar su dispersión. En 2021 llegaron las vacunas, pero tan relevante como éstas lo fue la llegada de la variante Ómicron, la cual tenía una alta capacidad parainfectar,perocausandomuchomenos daño en el enfermo.

Enlasegundamitadde2020sehablaba repetidamente de la gran tasa de mutación del virus y, como consecuencia, la aparición de variantes con alta letalidad, por ejemplo, la Delta. Frente a todo esto y, recordando la frase de mi profesor, pensaba y comentaba:

“Con toda esta evolución del SARSCoV-2, en algún momento tendrá lugar unamutaciónquederivaraenunavariante que, aunque sea tanto o más infecciosa, no llevara a la muerte inevitable del

La evolución humana vista a través de un gusano AMMVEPE Vol. 34, No. 2 • Mayo-Agosto 2023 pp 64-70 ARTÍCULO DE REVISIÓN

enfermo, lo cual derivará en un proceso de selección natural en el cual, más virulencia combinada con menos muertes del hospedero, lo hará dominante en su universo viral, por su propia condición, pero también porque infectará mucho, la gente enfermará, pero se recuperará y de esa forma el propio humano contribuirá a apoyar su transmisión, pues cada vez se protegerán menos y contagiaran más, tal y como ocurre con la gripe”.

Esta idea se convirtió en realidad en 2021, cuando la mezcla de Ómicron, más lasvacunas,promovieronquelagenteempezara a perder el miedo de contagiarse, a disminuir los cuidados y, por tanto, aumentósudispersión.Nomeextrañaríaque en este momento existan más humanos queyahantenidocontactoconelvirusque aquellosquesehanmantenidoalmargen. Desde esta perspectiva, los tipos que se han reconocido desde 2021 en adelante, muchos ligados a la variante Ómicron, pueden considerarse los ganadores absolutos de este proceso evolutivo, pues desplazaronalasotras,contagiaron(ysiguen contagiando)amuchísimaspersonas,una, dos, tres veces, o más, pero sin llevar a la defunción (en la mayoría de los casos), lo que garantiza hospederos permanentes y dispersión a través de nosotros mismos. Indudablemente este virus resultó ser, al final, “muy buen parásito”.

LA ZOONOSIS Y LA HISTORIA EVOLUTIVA

Elobjetivodeestadescripciónesmostrarallectoruncasoenelqueobservamos lainteracciónparásito-hospederoylosextremosalosquesellega.Nuestraespecie, como cualquier otra forma de ser vivo, está expuesta a la llegada de organismos queentraránanuestrocuerpoylotomarán como hábitat o sólo como fuente de alimento o espacio reproductivo, por ejemplo.Algunossondecondiciónoportunista, es decir, llegan, toman lo que pueden y se van(olosdesechamos),mientrasquehay otroscuyoobjetivoesprolongarsuestadía tanto como sea posible.

Caso especial dentro de este universo es todo lo relacionado con la zoonosis, es decir, con la relación humanos-parásitos-

Valadez-Azúa R. La evolución humana vista a través de un gusano AMMVEPE 2023; 34 (2): 64-70

animales, en especial los de condición doméstica, pues su historia en común, primero como animales con los que se interactuabaydespuéscomoanimalesque se criaban, trae consigo una importante dinámica en la cual el tercer personaje muchas veces tiene también cosas que contar, sobre todo cuando se trata de “un buen parásito”, que ha permanecido en esta condición por miles o millones de años, estimulando un proceso evolutivo másencaminadoalaadaptacióndelostres participantes a esta dinámica, en vez de que todo tenga lugar en muy poco tiempo y concluya con la muerte de los participantes, tal y como ocurre, por ejemplo con el ántrax, enfermedad que involucra alganadodoméstico,alabacteria Bacillus anthracis, a nosotros y cuyo fin, sin el apoyo de medicamentos, con frecuencia concluía con la muerte de los humanos, seguida por la del ganado.

Para fortuna nuestra, existen otros casosenlosquelaevolucióndelavidaparasitaria se encamina, en buena medida, a lamayorespecializaciónenesteesquema; aspecto que involucra obtener el mayor beneficio del hospedero causándole el menor daño posible, de forma que puede continuarelprocesoevolutivo,generación tras generación.

Todo lo descrito en líneas anteriores sobre buenos y malos parásitos tiene, en realidad, un trasfondo ecológico y evolutivo muy relevante. Si pensáramos en el ser humano como una isla y a un parásito comounapequeñapoblacióncolonizadora, puede ocurrir lo siguiente:

1. Que no encuentren en la isla las condiciones para vivir y mueran.

2. Quesobrevivanenelprimermomento, perodepredenlaislaconsusactividades(búsquedadealimento,deagua,de refugio) y como este ámbito no está adaptado a ese invasor, tendrá lugar la destruccióndellugarylaconsiguiente muerte de los invasores.

3. Que se alcance un equilibrio entre recursos del sitio, necesidades de los invasores y, de esta forma tenga lugar una dinámica en donde ambiente, más recién llegados, alcanzarán un equilibrioque,sipersisteeneltiempo,

permitirá, más adelante, reconocer la evoluciónderivadadelasadaptaciones que tuvieron lugar.

Conestaperspectiva,unidaalaideade “bueno” o “malo”, se puede inferir que, en buena medida, lo que se ve en este momento frente a un evento de zoonosis, tiene que ver con el tiempo que lleva la interacción entre tal o cual parásito y el ser humano. De acuerdo con esto, en el caso de los parásitos que entraron en contacto con el hombre como resultado directo de la domesticación, es probable quederivenenelprimeroosegundocaso, pues hablamos de procesos infecciosos que iniciaron hace pocos miles de años,2 mientras que aquellos que existen en un cierto esquema de equilibrio, producto de una larga y continua adaptación mutua, es probable que la relación de origen sea anterior a la llegada de la domesticación.

TRAS LAS HUELLAS DE UN PARÁSITO

Relacionado con esta segunda opción, tenemos a un grupo de parásitos ligados a la zoonosis y de gran relevancia para nosotros por la historia que nos involucra junto con el ganado doméstico, son los céstodos. Estos organismos pertenecen al grupo de los llamados “gusanos planos”, muy antiguos y primitivos, desde la perspectiva de la historia y filogenia animal y algunos de ellos sumamente especializados, por ejemplo, los pertenecientes al género Taenia

Este gusano tiene un ciclo de vida3,4 (Figura 1) cuyoinicioseencuentraenlos huevos, o proglótidos con huevos, que se localizanenelsueloylavegetación.Estos soningeridosporherbívorosuomnívoros (paranuestrosintereses,elganadodoméstico), entran a su tracto digestivo, de ahí se convierten en embriones, atraviesan la pared intestinal y llegan hasta las masas musculares.

Esta fase, denominada “cisticerco”, es como un estado latente y dura mientras el hospedero temporal está vivo. En algún momento es consumido por un carnívoro (o por una persona) y los cisticercos son ingeridos, llegan al intestino y ahí se convierten en adultos. Ya en su hospede-

65

Valadez-Azúa R. La evolución humana vista a través de un gusano

AMMVEPE 2023; 34 (2): 64-70

ro definitivo se desarrollan, dando lugar a gusanos de más de un metro de largo, los cuales se mantienen sujetos a la pared intestinal mediante ventosas y/o ganchos quetienenensucabeza(escolex),mientras que el cuerpo, constituido por cientos de segmentos, los proglótidos, no tiene más objetivo que la reproducción, pues cada uno de ellos posee aparatos reproductores masculino y femenino. Conforme los proglótidos “maduran”, se desprenden, saliendo del cuerpo junto con las heces fecales y queda en el suelo a la espera de un herbívoro.

Figura 1. Existen varias especies de Taenia que parasitan al hombre, siendo T. solium y T. saginata las más comunes. La primera tiene como hospedero temporal al cerdo (izquierda) y la segunda al ganado vacuno (derecha); en ambos casos el ciclo incluye la ingestión de los huevos por los hospederos temporales (A), el desarrollo de embriones (B) que atraviesan la pared intestinal y en el estado de cisticercos quedan alojados en las masas musculares (C) hasta que entran al hombre (D) mediante el consumo de carne cruda o mal cocida, pasando al intestino (E), para ahí alcanzar la madurez (F). Es en los segmentos del cuerpo, denominados proglótidos (G), donde se producen los huevos (H), que al ser desalojados del tracto digestivo quedan en el ambiente a la espera de ser ingeridos por un herbívoro (Imágenes de proglótidos de (4), figura elaborada por Raúl Valadez).

Elciclodevidade Taenia seencuentra estrechamenterelacionadoconlosniveles tróficos en los que el hospedero temporal es un herbívoro y el definitivo un carnívoro,5 por lo que resulta interesante el estudiodeestarelaciónconelobjetivode reconocer la evolución de los homínidos respectodesuposicióntrófica,asícomoel determinarapartirdecuandoseconvirtió enundepredador,todoestovistodesdela perspectiva de Taenia

En años recientes se han llevado a cabo estudios que buscan establecer los niveles de parentesco de diversas especiesde Taenia,atravésdesuADN,5,6 pero igualmentereconocerpautasevolutivasy de diversificación a través de su relación consusdiferenteshospederostemporales y definitivos. La relevancia de ello es que por este medio es factible visualizar la forma como los homínidos fueron “moviéndose” en el plano alimentario y trófico hasta quedar como depredadores de herbívoros, por tanto, como hospederos definitivos de estos parásitos.

Figura 2. Posición de las tres especies de Taenia que parasitan al ser humano y su relación con lo hospederos definitivos (carnívoros) y temporales (herbívoros). De acuerdo con el ADN, T. saginata y T. asiatica son especies derivadas de un proceso de especiación independiente del que dio lugar a T. solium (Figura elaborada por Raúl Valadez, tomada parcialmente de Hoberg E, et al.5 y Terefe Y, et al.6

Unaspectomuyrelevanteescomprender la forma como funciona el “ambiente herbívoro”y“ambientecarnívoro”dentro delciclodevidadela Tenia.Estosestudios indicanquerealmentecada“ambiente”es lo bastante particular como para que cada especie de Taenia tenga sus hospederos temporales y definitivos específicos, lo cual permite entender la relación de esta triada de forma equivalente como vemos la relación entre biomas y la evolución de un género de plantas o de insectos.

Visto de esta manera, es importante ubicarnos en nuestra condición actual de depredadores del ganado doméstico y

66
A B C F F G H B A C G D H

entender que si somos hospederos definitivos de tres especies de Taenia es porque se ha tenido un largo periodo adaptativo de estos parásitos, con el correspondiente proceso de especiación, lo cual lleva a la pregunta ¿desde cuándo formamos parte de este ciclo? ¿desde que apareció el ganado doméstico o antes?

Al estar frente a esta realidad de vida depredadora surge la reflexión de que la carnivoría no es una forma de vida que haya tenido relevancia primaria en nuestra evolución. Sabemos que los australopitécidoseranorganismosclaramente omnívoros, algunos incluso con marcada especializaciónhacialaherbivoría,7 yque los primeros miembros del género Homo eran omnívoros carroñeros.8 Dadas las circunstancias¿cómoseinsertaronloshomínidosenestastriadasybajoquépapel?

Un aspecto bien reconocido por los investigadores, a partir del tipo de hospederos de Taenia, es que su centro de origen fue África. Este dato es muy relevante, pues nos permite ir construyendo la respuesta a las preguntas hechas desde el origen mismo de los homínidos e ir planteando los posibles cambios y adaptaciones que fueron dándose hasta la actualidad.

No obstante el esfuerzo académico de esos estudios, aún existen notables discrepancias respecto de las relaciones filogenéticas al interior del género, sobre todo respecto de la posición de T. solium, T. saginata y T. asiatica (tambiénparásita de Homo sapiens) con respecto de otras especies cercanas;5,6 no obstante es claro quetodasestánincluidasenespaciosdonde ubican como “vecinos del hombre” a depredadores de la talla de las hienas, los ososylosleones (Figura 2),mientrasque diversos grupos de artiodáctilos quedan como compañeros del ganado doméstico.

LAS TAENIAS, HOMO Y SU EVOLUCIÓN TRÓFICA

Sesabeque Taenia seoriginóenÁfrica yquesushospederosinicialeseranmustélidosyroedores.5 Alpasodeltiempoestos cestodos “radiaron” hacia otras especies aprovechandosuesquemade“vidalatente” en el suelo y la vegetación, a la espera

R. La evolución humana vista a través de un gusano AMMVEPE 2023; 34 (2): 64-70

de ser consumidos por algún herbívoro. Conformeestadiversificacióntuvolugar, fueron los artiodáctilos los consumidores primarios “colonizados” en mayor grado y,comoconsecuencia,loscarnívorosmás grandes, como felinos, hienas y cánidos quedaron incluidos en las triadas.

Apartirdeestemomentoloshomínidos quedan integrados a ésta dinámica (Figura 3). Al inicio, las especies de Taenia ligadasalhombreestánemparentadascon especiesparásitasdecarnívorosgrandesy unguladosynoconvivérridos,mustélidos, roedores o lagomorfos. Esta ubicación, la de un homínido que se encuentra en un habitat compartiendo el espacio con antílopes (bóvidos), suidos, hiracoideos, otros primates, leones y hienas, es propia deunasabanaafricanaenlacualespecies como Australopithecus afarensis y A. africanus se desarrollaron entre los 2.5 y 3.5 millones de años antes del presente,7 (Figura 3)

En este momento los homínidos involucrados, australopitécidos de modo más específico, no serían en modo alguno, carnívoros, sino más bien omnívoros con fuerte tendencia a la herbivoría cuya acción depredadora se limitaría a pequeños animales bajo circunstancias puramente fortuitasy,simultáneamente,seríanpresas de carnívoros como leopardos, licaones, leones y hienas. Este esquema paleoambiental está bien documentado con Australopithecus afarensis o A africanus, quienesfungirían,enestemomento,como hospederos temporales de Taenia Dentro de la evolución de los homínidos sabemos que el origen de Homo está relacionado con una mayor adaptación a la sabana y con el desarrollo de ciertas características como una masa cefálica más grande (en comparación con la de los australopitécidos) y la elaboración de herramientas, las cuales tendrían, entre otros usos, apoyar el destazamiento y fractura de huesos de animales cazados por depredadores. Con base en ello se considera que especies como Homo habilis, eran omnívoros para quienes bulbos, frutos y semillas serían la base, con insectos, pequeños vertebrados, trozos de carne y médula de huesos grandes cómo el complemento (Figura 4). La época a la

queperteneceríaestafaseseríaunosdosa dos y medio millones de años.8 En este momento, Homo habilis sigue siendo un hospedero temporal con sus dosis de cisticercos incluidos en la masa muscular, pero independientemente de ello,sushábitoscarroñerosllevaríanaque ocasionalmenteingirieraunasignificativa porción de carne, a veces también con estos embriones. Casi con toda seguridad estosseríandigeridoseneltractodigestivo de estos homínidos, ya que su ambiente fisiológico no sería el adecuado para que se diera lugar al estado adulto de Taenia; noobstanteesteocasionalcontactopodría ir conformando el “espacio ecológico” necesarioparaseraprovechadoposteriormente por esta lombriz.

El tercer nivel constituye la continuación de la tendencia al consumo de carne por los descendientes de Homo habilis, porejemplo H ergaster, 8,9 quienhabitóen Áfricaentremillónymedioadosmillones de años. Este homínido tenía una mayor capacidad para incluir a la carne en su dieta, tanto por la propia carroñería como el robo de piezas y cierta habilidad para cazar, aunque seguiría siendo presa habitualdelosmayorescarnívoros (Figura 5)

En estas condiciones, las especies involucradasocuparíanunnivelintermedio en la cadena trófica. Muy probablemente sus características fisiológicas le ubicarían como un hospedero temporal de Taenia, pero es posible que esta mayor habilidad para la carnivoría abrieran la opción de que los cisticercos comidos junto con la carne percibieran al tracto digestivo humano como “fisiológicamente óptimo” para que se desarrollaran y dieran lugar a adultos (Figura 5). Ciertamente en este proceso todo dependería del ambiente intestinal presente con la consiguiente adaptación de estas lombrices a las peculiaridades de este nuevo hospederodefinitivo;entodocasolomás relevante es que este nivel de desarrollo evolutivode Homo nospermitevisualizar las circunstancias que permitirían a este cestodo aprovechar a los humanos bajo esta nueva condición.

Lasiguientefase (Figura 6) involucraa Homo erectus,aespeciesequivalentesya Homo sapiens hastaantesdelprocesoque

67
Valadez-Azúa

Valadez-Azúa R. La evolución humana vista a través de un gusano

AMMVEPE 2023; 34 (2): 64-70

Figura 3. Reconstrucción de la dinámica trófica relacionada con Taenia al momento en que los homínidos quedan incluidos. Los organismos participantes serían australopitécidos que se alimentaban principalmente de vegetales con complemento de proteína animal (para más información ver texto). Figura elaborada por Raúl Valadez.

Figura 4. Ciclo de vida de Taenia con los homínidos como hospederos temporales, pero en una condición trófica “corrida” hacia la carnivoría gracias a sus hábitos carroñeros (para más información ver texto). Figura elaborada por Raúl Valadez.

Figura 5. Conforme Homo va desarrollando sus habilidades para la obtención y consumo de carne, queda abierta la opción de que Taenia le utilice como hospedero temporal y definitivo al mismo tiempo, evolucionando en este sentido zde forma paralela a como iría evolucionando la fisiología digestiva humana respecto de la carnivoría (para más información ver texto). Figura elaborada por Raúl Valadez.

68

Valadez-Azúa R. La evolución humana vista a través de un gusano AMMVEPE 2023; 34 (2): 64-70

llevóalaaparicióndelganadodoméstico. Los aspectos fundamentales serían su cada vez mayor habilidad depredadora, así como su diseminación por África y Asia. Este momento, que iría del millón y medio de años hasta hace diez o veinte mil años antes del presente, comprende, porunlado,elacomododeestoshumanos como depredadores, en igualdad de circunstancias con tigres, leones, leopardos, osos, lobos y hienas.

Estanuevaydefinitivaposicióntrófica sería el elemento determinante para que estasespeciesde Homo seconvirtieranen hospederos definitivos de Taenia, pues al margen de nuestra flexibilidad omnívora (partedenuestracondiciónbiológica),las modificaciones fisiológicas alcanzadas paraqueelintestinopudieradigerirlacarne y la grasa animal sin problemas, abrió también la puerta para que esta lombriz pudiera establecerse en su fase adulta.

En tercer lugar, la salida de Homo de África deriva en procesos de dispersión y aislamiento que lleva a que se constituyan diversas especies de Taenia, en función de los herbívoros existentes en cadaregiónquefungencomohospederos temporales. De acuerdo con la opinión de los investigadores,5,6 (Figura 2) las triadas constituidas por las lombrices, el ganado y los seres humanos se encuentranestrechamenterelacionadasconotras

Figura 6. Fase de desarrollo de la relación hombre-tenia. Conforme se da la dispersión de Homo en la mayor parte del Viejo Mundo, se van constituyendo las líneas de las que se derivarán posteriormente las diferentes especies que nos parasitan. Ya para este momento estos cestodos reconocen al tracto digestivo humano como el óptimo para su desarrollo adulto, producto de nuestras mayores habilidades para la ingesta de carne (para más información ver texto). Figura elaborada por Raúl Valadez.

nado involucrado, son producto directo del surgimiento del ganado doméstico hace, por lo menos, 10,000 años. Figura elaborada por Raúl Valadez.

69
Figura 7. Cadena trófica actual ligada al ciclo de vida de Taenia solium (izquierda) y de T. saginata y T. asiatica (derecha). Este esquema, con las especificaciones propias de cada parásito y del ga-

Valadez-Azúa R. La evolución humana vista a través de un gusano

AMMVEPE 2023; 34 (2): 64-70

en las que los depredadores principales son las hienas o bien los osos grises. Esto permitereconocerqueestaúltimafasede laevoluciónyespeciaciónde Taenia tuvo lugar de forma independiente, incluso en continentes diferentes (Figura 7).

Es bajo estas circunstancias que llegamos al último nivel en el cual el elemento clave es la aparición del ganado doméstico,aspectoquedeterminalascondiciones ecológicas que finalmente conducirán al proceso de especiación en Taenia que dio lugar, de forma independiente, a T. saginata y T. asiatica como producto de la relación entre bóvidos y hombres y de T. solium, como producto de la relación cerdo-hombre (Figura 7)

DISCUSIÓN

Alintroducirseeltemadelosanimales domésticos y conocer así el concepto de zoonosis, se vuelve relevante la relación entre el tiempo que tiene tal o cual animal en el esquema doméstico y el efecto que tiene alguna enfermedad zoonótica producto de esa relación. Parecía que el tiempo jugaba un papel fundamental para entender lo bueno o mal parásito que resultaban ser y que casos como Mycobacterium bovis, M. tuberculosis, Bacillus anthracis, claramente mostraban un cuadro patogénico propio de un “mal parásito”, que coincide bien con la evidenciaantropológicadequesonenfermedades de origen reciente. Otras, como la toxocariasis, promovida por Toxocara canis, tienen efectos menos severos y eso puede deberse al mayor tiempo de mutua adaptación por la triada perro-gusanohumano. En el caso de infecciones de alta letalidad y que parecen tener una larga historia, por ejemplo la rabia, producida por Lyssavirus,sabemosquesemantienen en estado de latencia con ciertos organismos, por ejemplo los murciélagos, lo que se interpretaría como un largo periodo de interacción, pero en muchos otros casos, más bien tenemos una permanente condición de “mal parásito”, seguramente un productodesuamplioacervodehospederospotenciales,locuallimitalaintensidad delosprocesosadaptativos,esdecir,desu

evoluciónhaciapatronesmenosagresivos para con los hospederos.

Evidentemente en el caso que se ha presentado, se tiene todo lo necesario para ubicarlo como un fenómeno muy antiguo, lo suficiente para verlo como algoqueenelpresente“perturba”perono mata, al menos no en los casos de Taenia saginata y T. asiatica,graciasaunproceso adaptativo ocurrido a lo largo de algunos millones de años. La probabilidad de que con el transcurrir del tiempo, y siguiendo elmismopatrónbiológico,pudierallegarse hasta una condición que se asemejara más al comensalismo, es algo altamente probable,puesellosignificaríaunaforma deinteracciónenlaqueloshospederosson mínimamente afectados y los beneficios para, el ahora comensal, son altos, tal y como ocurre con muchos otros casos como, por ejemplo, Candida albicans, hongo comensal de la piel del cual solo reconocemos su presencia cuando se manifiesta en forma de infección debido a que el hospedero se encuentra en condicionesdedebilitamientoodesequilibrio orgánico.

CONCLUSIONES

El mundo de la zoonosis constituye un espacio de enorme interés para la ciencia y que comprende mucho más que el ámbito médico vinculado con la prevención y tratamiento de enfermedades. Desde la perspectiva biológica, puede verse como un universo de interacciones equivalente almundoexterior,enelquesemanifiestan procesosadaptativosyevolutivosentodos los niveles.Trasladando esto hacia el ámbito de la fauna doméstica, la relevancia queadquiereesmayoraún,puesinvolucra nosololosaspectosmédicosobiológicos, sino además los históricos, los culturales, lostradicionales,convirtiéndosecadaforma de parásito en un acervo de datos que nospermiteconstruireventos,recorridos, como si se tratara de un programa que vemos en una pantalla.

Sin duda el caso de Taenia es por demás significativo por el movimiento que debemoshacer,“regresandoelvideo”,tres o cuatro millones de años, hasta llegar al

tiempo de los australopitécidos y, de ahí, poner de nuevo la reproducción (►), haciendo pausa en cada momento en que tienen lugar los eventos que harán que cambieelrumbodelasacciones,buscando entenderloselementosdelmundoexterior o interior que determinaron el proceso que llevó hasta la condición que se tiene en el presente.

REFERENCIAS

1. Bedoya M, Medina J, Chau V, Li R, Vera Á, García P. Variantes del SARS-CoV-2: epidemiología, fisiopatología y la importancia de las vacunas. Rev Peru Med Exp Salud Publica 2020;38(3):442-51.doi:https://doi. org/10.17843/ rpmesp.2021.383.8734.

2. Valadez R. Los animales domésticos. Su estudio, su origen, su historia. Tomo II La domesticación animal en el mundo antiguo, Instituto de InvestigacionesAntropológicas, UniversidadNacionalAutónomadeMéxico, México. 2021

3. Secretaría de Salud. Panorama Epidemiológico de Teniasis en México, Dirección General de Epidemiología, Secretaría de Salud, México, https://www.gob.mx/salud/ documentos/panorama-epidemiologico-deteniasis-en-mexico.(Consultadoel5dejunio de 2019). 2016.

4. Uribarren T. Taeniosis o teniasis, Departamento de Microbiología y Parasitología, FacultaddeMedicina,UNAM,www.facmed. unam.mx/deptos/microbiologia/parasitologia/taeniosis.html. (Consultado el 7 de junio de 2019). 2016.

5. Hoberg E, Jones A, Rausch R, Eom K, Gardner SL. A phylogenetic hypothesis for species of the genus Taenia (Eucestoda: Taeniidae). Journal of Parasitology 2000; 86(1): 89-98.

6. TerefeY, Hailemariam Z, Menkir S, Nakao M, Lavikainen A, Haukisalmi V, Iwaki T, Okamoto M, Ito A. Phylogenetic characterisation of Taenia tapeworms in spotted hienas and reconsideration of the “Out of Africa hypothesis” of Taenia in humans, International Journal for Parasitology 2014; 44: 533-41.

7. Foley R. Comparative Evolutionary Models and the “Australopith radiations’’. In: Reed KE, Feagle JG, Leakey RE (eds). The Paleobiology of Australopithecus. Vertebrate PaleobiologyandPaleoanthropologySeries. Springer N.Y., 2013 pp. 163-74.

8. Valadez R. Paleoecología de los homínidos fósiles. Correo del Maestro 2000;4(48):7-22.

9. Tattersall I. De África, ¿una…y otra vez? Investigación y Ciencia 1997; 249: 20-45.

70

J, et al. Urgencia gastrointestinal por cuerpos extraños.

AMMVEPE 2023; 34 (2): 71-77

AMMVEPE Vol. 34, No. 2 • Mayo-Agosto 2023 pp 71-77

Urgencia gastrointestinal por cuerpos extraños. Reporte de un

caso

Gastrointestinal urgency due to foreign bodies. Reporting a case

RESUMEN

Es presentado en el Hospital Churubusco, Alcaldía Coyoacán, un perro doméstico, maltés, hembra, 10 años, 8 kg, condición corporal 3/5, con signos de un par de días de anorexia, vómito, deshidratación, náuseas, y el segundo día heces líquidas y fétidas, con diez evacuaciones; asimismo añade el tutor, que la perra ingiere diversos cuerpos extraños (CE) con predilección en tragar objetos de metal. Se sospecha de CE, por lo que se le sugieren estudios de imagenología, donde se observa la presencia de un objeto radiopaco alojado en el antro pilórico; asimismo se efectúa perfil integral, sin alteraciones significativas. Se le comunica al propietario la importancia de realizarle la extracción del CE mediante gastrotomía debido a la urgencia. Se estabiliza al paciente principalmente mediante terapia de líquidos por vía endovenosa y antibioterapia; acto seguido se interviene quirúrgicamente y se extraen cinco monedas. La gastrotomía se realizó en la zona anatómica del cuerpo del estómago y se suturó en dos planos, se ofrece dieta de prescripción, se da de alta hospitalaria al segundo día de la cirugía y evoluciona de manera satisfactoria. La literatura comenta la elevada incidencia de CE en estómago, mismos que de no ser atendidos de manera oportuna surgen complicaciones gastrointestinales, electrolíticas y acido base que incluso pueden conducir a la muerte del animal.

Palabras clave. Cuerpos extraños, gastrotomía, endoscopía.

INTRODUCCIÓN

Es presentado en el Hospital Churubusco, Alcaldía Coyoacán, un perro doméstico,maltes,hembra,10años,8kg, condición corporal 3/5. En la anamnesis el propietario comenta que el paciente presenta desde hace un par de días anorexia, vómito, náuseas, heces líquidas y fétidas; en las últimas 24 horas registró diezevacuacionesyelvómitodisminuyó, lapacienteingiereaguademanerarepetida debido a que presenta deshidratación, asimismo añade el tutor, que la paciente

ABSTRACT

It is presented to the Churubusco Hospital, Alcaldía Coyoacán, a domestic dog, Maltese, female, 10 year-old, 8 kg, body condition 3/5, with signs of a couple of days of anorexia, vomiting, dehydration, nausea, and the second day liquid and fetid stools, with ten bowel movements; The tutor also adds that the dog ingests various foreign bodies (FB) with a predilection for swallowing metal objects. FB is suspected, so imaging studies are suggested, where the presence of a radiopaque object lodged in the pyloric antrum is observed; Likewise, an integral profile is carried out, without significant alterations. The owner is informed of the importance of performing the FB extraction by gastrotomy due to the urgency. The patient is stabilized mainly by intravenous fluid therapy and antibiotic therapy, once stabilized, surgery is performed and five coins are extracted. The gastrotomy was performed in the anatomical area of the body of the stomach and was sutured in two planes, a prescription diet is offered, hospital discharge is given on the second day of surgery and evolves satisfactorily. The literature comments on the high incidence of FB in the stomach, which if not treated in a timely manner arise gastrointestinal, electrolyte and base acid complications that can even lead to the death of the animal.

Key words. Foreign bodies, gastrotomy, endoscopy.

ingiere diversos cuerpos extraños con predilección en tragar objetos metálicos. Al examen físico se registra dolor a la palpación en abdomen craneal, manifestadopordistensióndelaparedabdominal, deshidratación de 8%, y vestigios de excremento alrededor del ano.

Se comenta al propietario que es preciso realizar estudios radiográficos de abdomen, ante la posibilidad de una obstrucción en abdomen craneal del aparato digestivo.Asimismo,sellevaacaboperfil integral, que sólo muestra hiplocloremia y hipocalemia no significativa.

* Departamento de Medicina Cirugía y Zootecnia en Pequeñas Especies. FMVZ. UNAM.

Sobretiros: MVZ Jorge Luna del Villar-Velasco

Correo electrónico: jorgevelasco1259@hotmail.com

La ingesta de cuerpos extraños (CE) suele ser frecuente en animales jóvenes, como parte de sus hábitos de juego, aunque en los perros adultos se presenta como consecuencia de desórdenes de la conducta como vivir en confinamiento, restricción de sociabilización y ejercicio, así como carencia de enriquecimiento ambiental; situaciones que conllevan a estrés, ansiedad y desordenes obsesivos compulsivos como el Síndrome de pica Estas conductas incluso son reconocidas por sus propietarios, lo que les permite la mayoría de las veces acudir al médico veterinario zootecnista, casi de manera inmediata a consulta, lo que minimiza riesgos graves que incluso comprometan la vida del paciente. Este caso refiere una urgencia gastrointestinal, lo que implica diagnóstico oportuno, estabilización del

71 Luna del Villar-Velasco
CASO CLÍNICO
Jorge Luna del Villar-Velasco,* Norma Silvia Pérez-Gallardo*

Luna del Villar-Velasco J, et al. Urgencia gastrointestinal por cuerpos extraños.

AMMVEPE 2023; 34 (2): 71-77

pacienteduranteunashorasytratamiento a la brevedad posible. Las emergencias como la dilatación-torsión-vólvulo gástrico precisan de atención médica y quirúrgica inmediata, la que es posible quesepresentecomoconsecuenciadeCE alojados en estómago.

Cuerpos extraños

Ante la presencia de CE las obstrucciones esofágicas y gástricas se reportan con frecuencia. Las primeras pueden acontecer en el esfínter cricofaríngeo, en las regiones donde menos se distiende el esófago como la entrada del tórax, en la basedelcorazónobienenelhiato1 pueden perforar el órgano y ocasionar pleuritis, neumomediastino, piotórax, donde los huesos u objetos con puntas agudas se constituyenenundetonanteimportante.2,3

El CE pueden permanecer en el estómago dependiendo de su longitud y diámetroasociadosaltamañodelpaciente. Éstos pueden ocasionar gastritis por daño a la mucosa asociado al movimiento y la abrasión que provoquen; o bien, inducir gastritis generada por el desprendimiento dematerialirritante,porejemplo:laspilas contienenóxidodeplata,litioehidróxido de sodio que al derramarse causan lesión cáustica severa. Si el CE se aloja en el antro pilórico o se ancla en el píloro puede generar episodios agudos severos de vómito con contenido puramente ácido, que conlleva a deshidratación severa, alcalosis, hipocalemia, choque e incluso la muerte.2 En los casos de vómito sin obstrucción pilórica, puede presentarse acidosis como resultado de las pérdidas de secreciones duodenales y secreciones pancreáticas;ademásdelaacidosisláctica por la deshidratación.2,4,5 La distensión del antro provoca exceso de producción ácida por estímulo de gastrina.5-7 El CE puede ser perforante y producir sangrado severo o perforación con derrame del contenido gástrico con la consecuente irritación peritoneal, infección y muerte del paciente. Otro tipo de CE es aquel no digerible que se tiende a acumular en estómago,loqueimplicaobstrucciónque llegaraprovocarvómitoagudoencaninos y felinos; el problema se vuelve crónico

al no proporcionarse el diagnóstico y tratamiento oportunos.5

EnocasioneselCEprogresasutránsito hasta el intestino delgado, debido a que este órgano posee un diámetro reducido, el CE puede causar obstrucción completa oparcial,3 asímismosotrosCEesposible queseanexcretados,porloqueserequiere de minuciosa atención al examinar las excretas.

Signos

Los cuadros de obstrucción gastrointestinal se presentan con una variedad de signos clínicos, los que dependen de la localización del CE (craneal o caudal), el daño que ha provocado y la evolución delcuadro,8 siendolosmásfrecuentesvómitos, anorexia, pérdida de peso, diarrea, letargo, regurgitación, salivación, dolor a la palpación abdominal que puede ser poco perceptible e incluso inestabilidad en los signos respiratorios.9 Los pacientes afectados muestran desbalances hidroelectrolíticosseveroscomoalcalosise hipocalemia, o presentarán hematemesis y/o melena en caso de hemorragia y signos de irritación peritoneal en casos de perforación.2 En caso de cuerpos lineales eldoloresseveroencomparaciónconlos casos de cuerpos extraños no lineales que pueden pasar desapercibidos al examen clínico.8 Aunquelossignosclínicossuelen ser inespecíficos, éstos se relacionan con eltipodecuerpoextrañoylalocalización. Los objetos metálicos como monedas pueden transitar a lo largo del intestino y es posible que sean excretados en las heces, lo que requiere de minucioso seguimiento y examen de las mismas, de no ser excretado el CE se precisa extraer por endoscopia o cirugía.

Fisiopatología

En las obstrucciones, después de 30 minutos posterior a la ingesta del CE se produceincrementodelperistaltismoenla región proximal, donde se aloje el cuerpo extrañoydisminuciónenelsegmentodistalaunadoaunintervalodemotilidadque ocasionadolor.10 Laporciónproximalala obstrucciónsellenadegasesyladistalde

fluidos,aunadoalaumentodesecreciones biliares y pancreáticas. La hipocalemia por pérdida de líquidos se manifiesta en debilidad generalizada y pérdida de la motilidad intestinal.2

El gas que se acumula es aire ingerido que consta de un 70% de nitrógeno, entre un 10 a 12% de oxígeno y de 1 al 3% de hidrógeno. El dióxido de carbono puede registrarseentre6al9%,comounresultado de la neutralización de bicarbonato en ellumendelintestino.Losgasesorgánicos (CH4 en un 1%, mientras que el sulfuro de hidrógeno oscila entre el 1 a 10%, derivado de la fermentación bacteriana.11

La pérdida de electrolitos en la sangre (3.82-5.34µMol·L-1;141-153µMol·L-1 y 108 - 117 µMol·L-1, para K, Na y Cl, de acuerdo con DiBarola), respectivamente es importante ya que su déficit provoca problemas cardíacos, renales, respiratorios, e infecciosos, pudiendo exacerbarse por el vómito y la diarrea.12

El equilibrio ácido-base depende de la cantidad de electrolitos y gases en sangre, los cambios producen alteraciones fisiológicas y enzimáticas,13 los pacientes que presentandeshidratación,estáncatalogados comourgencias,segúnelcaso;serequiere instaurar fluidoterapia y se requiere conocer la cantidad de electrolitos perdidos.14

La importancia de equilibrio de ácido/ base es de conservar el pH normal, es un mecanismo homeostático. Los procesos metabólicos producen cada día entre 50 y 100 mEq de iones de H+ (ácidos fijos o no volátiles) a partir del metabolismo de proteínas y fosfolípidos y de 10,000 a 15,000 mmol de CO2 (ácido volátil) por el metabolismo de carbohidratos y grasa. El dióxido de carbono es potencialmente un ácido por su capacidad de combinarse con H2O en presencia de la anhidrasa carbónica y formar el ácido carbónico (H2CO3).Eldióxidodecarbonoseelimina por ventilación alveolar, de modo que la presiónparcialdeCO2 (pCO2)semantiene constanteaproximadamente40mmHg.12,15

La evaluación es útil en animales enfermos que presenten deshidratación grave, vómitos, diarrea, oliguria y anuria, hipercalemia, taquipnea. El pH urinario no siempre refleja el pH sistémico y no sustituye al análisis de gases en sangre.16

72

Diagnóstico

El diagnóstico de CE en el aparato gastrointestinal (CE gástrico) se sustenta enlaanamnesis,examenfísico,exámenes de laboratorio e imagenología como son las radiografías y el ultrasonido.5 Es común que los propietarios de los pacientes hayandetectadolaingestadeunCEtanto en el juego, y/o al conocer los antecedentes del síndrome de pica en su mascota.17

Los objetos radiopacos se aprecian fácilmente en el estómago mediante las radiografíassimples,aunquesedebetener presente la posibilidad de la presencia de CEradiolucidos.17,18Losgastrogramascon bario pueden ser útiles en ocasiones para delinearloscuerposextrañosradiolúcidos

Luna del Villar-Velasco J, et al. Urgencia gastrointestinal por cuerpos extraños.

AMMVEPE 2023; 34 (2): 71-77

y sobre todo en aquellos CE que pueden absorber el material como en el caso de algunos bezoares. Los gastrogramas tambiénsondeayudacuandohayobstrucción del flujo pilórico17 (Figura 1).

TRATAMIENTO

Técnica quirúrgica

Se canalizó al paciente y se administraronfluidosaterapiademantenimiento, ya que el animal tomó agua por la vía oral. Se administró meloxicam 24 horas previo al procedimiento quirúrgico y poco antes de la cirugía a una dosis de 0.1 mg/kg SC SID, se indujo la anestesia con Tiletamina-Zolazepam a razón de 4

mg/kg EV y se introdujo sonda orotraqueal, la cual se conectó al aparato de anestesia inhalada con una frecuencia de 20respiraciones/minuto,conunvolumen corriente de 15 mL/Kg, fracción inspirada (Fi) de O2 del 100% y se mantuvo la anestesia con isofluorano al 2% durante todo el proceso quirúrgico.

Se realizó la antisepsia de la región de la manera amplia, se llevó a cabo la gastrotomía, para lo que se prepara de manera aséptica el abdomen del paciente y se delimita con campos, la región cráneo umbilical, de la apófisis xifoides a la cicatriz umbilical (Figura 2). Se localiza la línea blanca y se incide para localizar el estómago, mismo que se exterioriza y se delimita con compresas quirúrgicas,

Figura 1. A. Proyección LI-LD y B. Proyección LD-LI del estudio radiográfico de abdomen, se aprecia en el fondo y cuerpo de la silueta gástrica, densidad radio lucida que corresponde a la presencia de gas; en el antro pilórico se observa un cuerpo extraño con densidad de metal, ovoide, con dimensiones, 2.38 cm de largo y 2.54 cm de ancho. C. Proyección VD confirma la presencia de un CE en la región del cuerpo del estómago; el fondo se encuentra ocupado por gas dando la apariencia de engrosamiento de la mucosa gástrica, o puede originarse por contracción durante la toma del estudio, o relacionado a proceso inflamatorio provocado por el CE. En abdomen derecho, a nivel de T13 se localiza una estructura en forma de ‘‘C’’ invertida ocupada por gas y corresponde a la válvula ileocecal, misma que se observa en las proyecciones laterales, en la porción dorsal de abdomen craneal entre T12 y T13.

73
C
A B

Luna del Villar-Velasco J, et al. Urgencia gastrointestinal por cuerpos extraños.

AMMVEPE 2023; 34 (2): 71-77

se muestra la región hacia el antro pilórico donde se localiza el cuerpo extraño (Figura 3). Se incide sobre tejido sano cada capa gástrica y se exterioriza el CE, el cual se identificó como cinco monedas de cinco pesos mexicanos, mismas que se presentaron sujetadas con cinta adhesiva (Figura 4). Se inspecciona la luz del órgano y se procede a suturar en dos tiempos. Se realiza surgete sobre la mucosa gástrica (Figura 5) y se procede con patrón de Cushing en el área seromuscular (Figura 6), se omentaliza el cierre gástrico (Figura 7) y se lleva a cabo el cierre convencional de cavidad abdominal (Figura 8)

Nutrición posoperatoria

La permeabilidad intestinal se incrementa de manera transitoria en el posoperatorio al alterarse la barrera intestinal, de esta forma las bacterias y toxinas intestinales de la circulación sistémica son responsables del síndrome de respuesta inflamatoria sistémica (SRIS), sepsis o falla multiorgánica. Es importante, prestar atenciónalanutriciónenteraltempanapara restaurar la atrofia de la mucosa intestinal y aumentar la permeabilidad de la misma. En el presente caso, se prescribió alimento húmedo gastrointestinal para perro (Hill’s Prescription Diet i/d) a razón de 70 g por toma cada 3 horas durante dos días, diluida con suero oral, a partir del tercer día se prolongaron los tiempos de ayuno a 6 horas incrementando la ración a 140 g por toma y al día 5 la dieta se compuso de i/d de Hill’s sin diluirla con solución, cada 8 horas, con una proporción de 200 g por toma y libre acceso al agua.Asimismo, es preciso vigilar la posible presencia de íleo paralítico postoperatorio y estar atentos a posible dehiscencia gastrointestinal.19

DISCUSIÓN

Lossignosobservadosenpresenciade obstrucciones altas por CE se relacionan convómito(26a87%deloscasos),anorexia (14 a 72%), pérdida de peso (4 a 8%), hematemesis entre 4 y 8%;10,11 sin embargo, en el presente caso, el paciente solo registró vómito sin obstrucción pilórica,

74
Figura 2. Colocación de los campos antero umbilical. Figura 3. Localización del cuerpo extraño. Figura 4. Extracción de cuerpos extraños.

AMMVEPE 2023; 34 (2): 71-77

lo que favorece acidosis como resultado delaspérdidasdesecrecionesduodenales y secreciones pancreáticas; además de la acidosis láctica por la deshidratación;2,4,5 no obstante, al siguiente día manifestó diez evacuaciones, lo que no se apega a locitadoporlaliteratura,yaqueladiarrea es un signo relacionado con obstrucción enintestinodelgado;asimismoelpaciente ingirió agua lo que le permitió mantener equilibrioelectrolítico.Porotraparte,siel diagnóstico se realiza de manera temprana,comosucedióenelpresentereporte,el pronósticodelanimalresultaseralentador. Semencionaqueen25%deloscasos,los propietariosobservanlaingestadelcuerpo extrañoyenun7%lollevanaconsultasin queelanimalpresentealgúnsignoclínico durante su examen físico.11

75 Luna del Villar-Velasco J,
et al.
Urgencia gastrointestinal por cuerpos extraños.
A B
Figura 5. Suturación de la mucosa gástrica con surgete simple, se emplea ácido poliglicólico calibre tres ceros Figura 6. Realización del patrón de Cushing. Figura 7. Omentalización de línea de sutura. Figura 8. Realización del cierre de cavidad abdominal.

Luna del Villar-Velasco J, et al. Urgencia gastrointestinal por cuerpos extraños.

AMMVEPE 2023; 34 (2): 71-77

LosCEsonlocalizadosprincipalmente en estómago, la mayor de las veces pasa desapercibidoylasemiologíasemanifiesta una vez localizados en intestino delgado. Los signos radiográficos observados, correspondenadistencióngástricaeintestinal, reducción del detalle de la serosa, y observación del cuerpo extraño radiopaco.20 Otra técnica utilizada en medicina veterinariaenanimalesdecompañía,para el diagnóstico de patologías GI, es el ultrasonidodondeseobservaconmayorfrecuencialapresenciadedistensiónyfluido en el intestino delgado y estómago;17,20 estudio que fue innecesario al tratarse de un CE radiopaco, que fue visualizado en el estudio radiográfico simple.

La técnica de extracción de un CE gástrico, debe realizarse al evaluar la situación del paciente y las herramientas con las que cuenta el médico veterinario:

• El CE puede ser extraído mediante la inducción del vómito, solo cuando hay certeza de que el CE es diminuto, conbordesredondeados,aunadoaque carezca de riesgos el paciente, de lo contrario se evita.21,22

• En caso de que el profesional cuente con equipo de endoscopía resulta ser excelente alternativa.18

• Alevaluarsealpacienteynosercandidatoparaemplearlastécnicasanteriores,seoptaporlagastrotomía.Encaso de llevarse a cabo la gastrotomía con apego estricto al procedimiento quirúrgico y su consecuente seguimiento postoperatorio,alnopresentarsecomplicaciones ni deterioro del paciente, resulta ser la mejor alternativa para extraer el CE, resolver la obstrucción yevitarcomplicacionesquedeterioren el aparato digestivo.21-23

Caxeitia, et al., 24 revela en un análisis retrospectivo en 50 perros con respecto a la topografía del diagnóstico de CE en el tracto digestivo, que: en el 16 % de ellos (n = 8) se observó CE en más de una ubicación; en el 42% (n = 21) se presentó en el estómago, siendo éste el sitio más frecuente; seguido del 24% (n = 12) en cuyo caso el CE se encontró alojado en el yeyuno; mientras que en el resto de los

pacientesely/olosCEfueronencontrados en otros segmentos del intestino delgado 16% (n = 8), específicamente en la región del duodeno 10% (n = 5); en el esófago cervical 8% (n = 4); esófago torácico 3% (n = 6); en el intestino grueso 8% (n = 4); mientras que en 2 pacientes la localización anatómica no constaba en su ficha quirúrgica.24

Enotroestudioenelcualseseñalauna muestrade208animales,soloel16%(n= 33) de los CE se alojaron en estómago, lo que es posible atribuirlo al tipo de objeto y a los bordes que lo delinean, ya que de acuerdoconestascaracterísticaslesresulta complejo transitar al píloro y por tanto pasar al duodeno y yeyuno.25

REFERENCIAS

1. Sá Td, Fernandes E, Borges J, Landi U, TrindadeA,SinhorinA,etal.Corpoestranho esofágicoempacientecanino-relatodecaso. UNIPAR 2017; 20(3): 179-82.

2. HernándezCA.Emergenciasgastrointestinales en perros y gatos. Revista CES Medicina Veterinaria y Zootecnia [Internet]. 2010; 5(2): 69-85. Recuperado de: https://www. redalyc.org/articulo.oa?id=321428104008

3. Guzmán-Vera MP. Revisión bibliográfica de obstrucción por cuerpos extraños, signos clínicos, fisiopatología, diagnóstico y tratamiento quirúrgico, en caninos (Canis Lupus Familiaris). Tesis. Machala. Universidad Técnica de Machala. Facultad de Ciencias Agropecuarias. Carrera de Medicina Veterinaria y Zootecnia; 2020.

4. Bebchuk TN. Feline gastrointestinal foreign bodies. Vet Clin North Am Small Anim Pract 2002; 32 (4): 861-80.

5. Grant GW, Strombeck DR. acute gastritis. En: Grant G W, editor. Small animal gastroenterology. 3rd ed. Philadelphia: W.B. Saunders Company; 1996. p. 14.

6. Fiallos G. Estudio retrospectivo de emergencias y urgencias gastrointestinales con resolución quirúrgica en caninos que fueron atendidos en el hospital veterinario Lucky durante el periodo 2010-2017. Trabajo de Titulación. Ecuador: UDLA, Facultad de Ciencias de la Salud, 2018.

7. WebbC,TwedtDC.Caninegastritis. Vet Clin North Am Small Anim Pract 2003; 33(5): 969-85.

8. Vega-Cañizares E, Martínez R, Rojo R, Irurzun-Estrada, C. Extracción de cuerpo extrañoenelestómagodeuncanino. Revista de Salud Animal 2019; 41(3): 4.

9. Fossum T. Cirugía en pequeños animales. Barcelona: Elsevier Mosby, 2014.

10. Quispe L. “Ultrasonografía frente a radiología convencional en el diagnóstico obstrucción gastrointestinal en Canis Lupus familiaris en la Clínica Gonzales mayo - octubre Lima 2017”. Tesis. Lima: Universidad Nacional Mayor de San Marcos, Escuela Profesional de Tecnología Médica; 2018.

11. Díaz L. Obstrucción intestinal por cuerpo extraño en un canino. Trabajo de grado. Caldas-Antioquia: Universidad Lasallista, Facultad Ciencias Administrativas y Agropecuarias 2018.

12. Dibartola SP. Alteraciones Ácido-Base. Fluidoterapia Electrolitos y Desequilibrio Acido-Base en pequeños animales. 3era ed. Barcelona: Multimédica Ediciones Veterinarias 2007: 710

13. Baruta DA, Ardoino SM, Marengo ML. Causas de Diarrea en Perros y Gatos.Anuario 2001. Facultad de Ciencias Veterinarias. UniversidadNacionaldeLaPampa.Enlínea: https://bit.ly/3aWfIdK. 15/12/2021.

14. Vanova-Uhrikova I, Ruserova-Lexmaulova L, Rehakova K, Scheer P, Doubek J. Determination of reference intervals of acid-base parameters in clinically healthy dogs. J Vet Emerg Crit Care 2017;27(3):325-32.https:// doi.org/hzgq.

15. Guaman-Simba DD, Castillo-Hidalgo EP, Armas-Ariza JC. Cambios electrolíticos en perros con gastroenteritis infecciosa. Rev Cient Fac Cien V [Internet]. 12 de junio de 2022 [citado 27 de abril de 2023]; 32: 1-4. Disponible en: https://produccioncientificaluz.org/index.php/cientifica/article/ view/38260

16. Willard M, Tvedten H. Diagnóstico Clínico Patológico Práctico en los PequeñosAnimales. 4ª ed. BuenosAires: Intermédica 2004.

17. Gianella P, Pfammatter NS, Burgener IA. Oesophageal and gastric endoscopic foreign body removal: complications and follow-up of 102 dogs. J Small Anim Pract 2009; 50 (12): 649-54.

18. MahaffeyM,BarberD.Estómago.En:Thrall D,editor.Manualdediagnósticoradiológico veterinario. Madrid: Elsevier 2003; 47: 61538.

19. Custodi Valero L. Cirugía Digestiva y Esplénica. Zaragoza, España: Grupo Asis Biomedia SL 2020: 7.

20. Tyrrell D, Beck C. Survey of the use of radiography vs ultrasonography in the investigationofgastrointestinalforeignbodies in small animals. Veterinary Radiology & Ultrasound 2006; 47(4): 404-8.

21. Hayes G. Gastrointestinal foreign bodies in dogs and cats: a retrospective study of 208 cases. J Small Anim Pract 2009; 50(11): 576-83.

22. Işler CT, Kırgız Ö, Deveci MZY, Alakuş I, Alakus H, Yurtal Z, Altuğ ME. Cuerpos extrañosgastrointestinalesenperrosygatos:

76

(2018-2020) 32 casos. Rev Cient Fac Cien [Internet]. 9 de febrero de 2022 [citado 20 de abril de 2023]; 32: 1-8. Disponible en: https://produccioncientificaluz.org/index. php/cientifica/article/view/37701

23. Luzio Á, Fischer C, Jara H, Cherres M. Extracción endoscópica de un cuerpo extraño esférico del estómago de un perro. Red Vet

Luna del Villar-Velasco J, et al. Urgencia gastrointestinal por cuerpos extraños. AMMVEPE 2023; 34 (2): 71-77

2014; 15(5): 1-8.Veterinaria Organización Málaga, España. Disponible: Rev Electrón Vet: http://www.veterinaria.org/revistas/ redvet; http://www.veterinaria.org/revistas/redvet/n050514.html

24. Caixeta AC, Alves EG, Coelho NG, Souza AC, Torres RC, Nepomuceno AC. Foreing body in the gastrointestinal tract of dogs: a

retrospective study. Ars Veterinaria, Jaboticabal 2018; 34(1): 20-4.

25. Webb J. Gastrointestinal and esophageal foreign bodies in the dog and cat. RVT Journal, Canadá. 2015 p. 6-10. Online. Disponible en: http://vetemergency.ca/ wp-content/uploads/2015/09/article-fb610.pdf?lbisphpreq=1.Acessoem:03out.201

77

Instrucciones para los autores

La Revista AMMVEPE, editada por la Asociación Mexicana de MédicosVeterinariosEspecialistasenPequeñasEspecies, A.C., es una publicación aceptada en la Asociación Mexicana de Editores de Revistas Biomédicas, A.C.; en internet compilada en IMBIOMED e indizada en la base periódica de la Dirección de Bibliotecas, UNAM. Su objetivo es brindar informaciónactualizadamédico-científica al profesional que ejerce la clínica en los perros, gatos, aves de ornato, animales de laboratorio, animales de compañía no convencionales y fauna silvestre.

Larevistapublicaartículoseditoriales, científicos originales, comunicaciones preliminares,casosclínicos,estudiosrecapitulativos,solamenteescritosenespañol, elaboradosenformatoWordversión2003 enadelante,tamañocarta(21.5x27.8cm), letraArial12,adobleespacio.Eneltrabajoseindicaráellugarenelqueseinsertan las ilustraciones (diagramas, esquemas, gráficas, fotografías, dibujos) que serán representativasdeltema,enumeradascon caracteresarábigosporordendeaparición, cada una con el pie que comprenda la leyenda correspondiente en forma concisa y clara, en un archivo independiente al texto, con extensión gif, jpg.

Los escritos deben contener título corto en español e inglés que identifique la naturaleza del trabajo; palabras clave y resumen en español e inglés; los nombres completos de los autores con los cargos actualescorrespondientes(límitecincoautores); dirección electrónica de cada uno y teléfonodelautorprincipalconlafinalidad de que el editor establezca comunicación directa en relación con cualquier duda. Los artículos deberán ser elaborados con desarrollo científico relacionado con las respectivas disciplinas y sus modalidades.

Con base en el grupo Vancouver, el autor debe hacer siempre una declaración completa al editor sobre las presentaciones e informes previos que pudieran considerarse como publicación precedente en otras obras y con mayor razón en otras revistas. El autor deberá avisar al editor alertándolo para que se agreguen a la bibliografía los informes o documentos de sujetos que hayan publicado de manera duplicada o redundante, y si esto ocurre sin la notificación de los autores, éstos deberán esperar a que se tome una acción editorial,porlomenoselrechazodelmanuscritoy/oelavisodepublicaciónredundante o duplicada con o sin la explicación o aprobación del autor. Tampoco impide a

las revistas considerar un artículo que ha sidopresentadoenunareunióncientífica, pero que no se ha publicado o que ha sido considerado para la publicación en un libro de memorias o en un formato similar. Unavezpublicadoslostrabajospasanaser propiedad de la AMMVEPE.

Los escritos que sean rechazados se devolveránalautor;encasodequerequieransermodificadossedevolveránalautor principalconlasindicacionespertinentes, quien contará con 15 días hábiles para rectificaroratificarlassugerencias,yposteriormente reenviar el artículo al Comité Editorialparasureevaluación.Todos los trabajos serán enviados a la siguiente direcciónelectrónica:revista_ammvepe@ ammvepe.com, mismo que servirá para establecercualquiertipodecomunicación.

Los conceptos vertidos en los escritos son responsabilidad de los autores y en ningún momento se atribuyen al editor o a la Revista AMMVEPE.

Una vez publicado el escrito se le entregarán al autor principal dos ejemplares de la revista para cada colaborador, o tres ejemplares en caso de un solo autor.

La bibliografía se cita de acuerdo con los criterios establecidos por el grupo Vancouver.

78 INSTRUCCIONES PARA LOS AUTORES AMMVEPE 2018; 29(3-6): AMMVEPE Vol. 34, No. 2 • Mayo - Agosto 2023
79
Dr. Fernando Viniegra R. y Dra. Katiuska Olmos J. Sobre la Ley de Protección.
AMMVEPE 2015; 26(4): 118 1969-2023

Turn static files into dynamic content formats.

Create a flipbook
Issuu converts static files into: digital portfolios, online yearbooks, online catalogs, digital photo albums and more. Sign up and create your flipbook.
Revista AMMVEPE Mayo - Agosto 2023 by sanangelstudio - Issuu