Revista AMMVEPE Mayo-Agosto 2025

Page 1


1969-2025

LCF y col. Gestación en la perra AMMVEPE 2001; 12(6):69-70

Órgano Oficial de la Asociación Mexicana de Médicos Veterinarios Especialistas en Pequeñas Especies, A.C. (AMMVEPE) Ciudad de México. Tel. 55 5553-1188. Correo electrónico: informes@ammvepe.com.mx

CONSEJO DIRECTIVO PERÍODO 2025

MESA DIRECTIVA AMMVEPE 2025

Presidente

MVZ Esp. Riad Katrib Mir

Vicepresidente

MVZ Esp.Alejandro Jiménez Yedra

Secretaria

MVZ MC Norma Pérez Gallardo

Tesorero

MVZEsp.MCEduardoCarlosSantoscoyMejía

Vocal de Estatutos

MVZ Esp. MC Martha HernándezArellano

Comité CientíficoAMMVEPE

Coordinador del Comité

MVZ Esp. Jesús Méndez Flores

Secretaria del Comité

MVZ Esp. LourdesArias Cisneros

Vocales

MVZAndrés Villalobos Díaz

MVZ Esp.Angelina Gutiérrez Barrios

Editor de la RevistaAMMVEPE

MVZ Fernando Viniegra Rodríguez

Comité Editorial

MVZ Katyuska Olmos Jiménez

MVZ Francisco Ruiz Cabrera†

MVZ Octavio Santana Cauich

MVZ Norma Pérez Gallardo

MVZ Jorge Luna Del Villar Velasco

ComitéAmpliado FESC-UNAM

MVZ José Gabriel Ruiz Cervantes

MVZ Ismael Hernández Ávalos

MVZAlfonso Gabriel Ruiz García

Correspondencia: Av. Pacífico 468-4

Col. El Rosedal. Alc. Coyoacán C.P. 04330. Ciudad de México

Correo electrónico: revista_ammvepe@hotmail.com informes@ammvepe.com.mx

Estudio radiográfico con medio de contraste positivo (sulfato de bario), Li- Ld. Se observa que el medio de contraste pasó en su totalidad al estómago. (p.

La Revista AMMVEPE es una publicación cuya edición y publicación están a cargo de laAsociación Mexicana de Médicos Veterinarios Especialistas en Pequeñas Especies,A.C., con domicilio en la Ciudad de México, Tel.: 55 5453-3950. Para el año 2025, el precio de la suscripción anual es de $500.00 pesos para México. El precio de suscripción incluye el envío de la revista. Toda correspondencia deberá dirigirse a: AMMVEPE Ciudad de México. Correo electrónico: revista_ammvepe@ammvepe.com, informes@ammvepe.com.mx. Certificado de Licitud de Título No. 9908 y Certificado de Licitud de Contenido No. 6934 de la Comisión Calificadora de Publicaciones y Revistas Ilustradas. Certificado de Reserva de Derechos No. 3070/96, de la Dirección General de Derecho deAutor, SEP. Publicación periódica. Registro Postal PP-DF-018-0397, autorizado por SEPOMEX. Númeroderegistro:ISSN1405-6852,enlaRedInternacionaldelasPublicacionesaNivelMundialconcontrol,registro,programa.EstarevistaestáindizadaenlabaseperiódicadelaDirecciónde Bibliotecas, UNAM. Departamento de Bibliotecas y Servicios Especializados. Esta publicación ha sido aceptada como socio activo de laAsociación Mexicana de Editores de Revistas Biomédicas, A.C. En INTERNET, compilada en el Índice Mexicano de Revistas Biomédicas (IMBIOMED): www.imbiomed.com.mx Arte, diseño y composición tipográfica por CASAEDITORIAL. Cel.: 55 8171-4702. Correo electrónico: g.rosales.j@hotmail.com Oficinas: Calzada de los Misterios No. 559. Col. Industrial. C.P. 07800.Alcaldía GustavoA. Madero, Ciudad de México.

Tracto corticoespinal en vista coronal. (p. ??).
??).

Volumen 35, Número 2 • Mayo - Agosto 2025

Editorial

La ranitidina y su relación con la N-nitrosodimetilamina:

¿Es importante la farmacovigilancia?

Alejandra García-Peralta, Ismael Hernández-Ávalos

Artículo de investigación

Inclusión de los animales de compañía en los protocolos de actuación frente a los desastres naturales en la Ciudad de México

Ylse Amari Sánchez-Solís, María Guadalupe Sánchez-González, Dinorah Vargas-Estrada, Laura O. Arvizu-Tovar, Iván Juárez-Rodríguez

Artículo de revisión

El cerdo como modelo quirúrgico en cirugía de tórax. . .

Jorge Luna del Villar Velasco, Norma Silvia Pérez-Gallardo, Fabián Jai Espinoza-Rebollo, Melany Joyce Escobar-Guzmán

Casos clínicos

Hernia hiatal en un perro, tratada únicamente con gastropexia: Informe de un caso.

Paulina María Carrillo-Solís, Hortensia Corona-Monjarás, Octavio Mejía-Ponce

Uso del tensor de difusión como una herramienta de diagnóstico en las enfermedades del sistema nervioso central en perros. Reporte de un caso en un husky siberiano con alteraciones del comportamiento.

José Alberto Toscano-Zapién, Patricia Rizo-Espinoza, Ismael Hernández-Avalos, Liliana Blancas-Espinoza, Erick Humberto Pasaye-Alcaraz, Edna Elisa García-Vences, Raúl Silva-García

.38

.41

Editorial

Ranitidine and its relationship with N-nitrosodimethylamine: Is pharmacovigilance important?

Alejandra García-Peralta, Ismael Hernández-Ávalos

Research article

.49

.38

.57

Inclusion of companion animals in Mexico City's natural disaster response protocols ................................................................41

Ylse Amari Sánchez-Solís, María Guadalupe Sánchez-González, Dinorah Vargas-Estrada, Laura O. Arvizu-Tovar, Iván Juárez-Rodríguez

Review article

The pig as a surgical model in thorax surgery......................49

Jorge Luna del Villar Velasco, Norma Silvia Pérez-Gallardo, Fabián Jai Espinoza-Rebollo, Melany Joyce Escobar-Guzmán

Clinical cases

Hiatal hernia treated in a dog solely with gastropey: a case report. .

Paulina María Carrillo-Solís, Hortensia Corona-Monjarás, Octavio Mejía-Ponce

Use of the diffusion tensor as a diagnostic tool in diseases of the central nervous system in dogs. Report of a case in a Siberian husky with behavioral alterations. .

José Alberto Toscano-Zapién, Patricia Rizo-Espinoza, Ismael Hernández-Avalos, Liliana Blancas-Espinoza, Erick Humberto Pasaye-Alcaraz, Edna Elisa García-Vences, Raúl Silva-García

.62

AMMVEPE 2025; 36 (2): 38-40

AMMVEPE Vol. 36, No. 2 • Mayo-Agosto 2025 pp 38-40

EDITORIAL

La ranitidina y su relación con la N-nitrosodimetilamina:

¿Es importante la farmacovigilancia?

Ranitidine and its relationship with N-nitrosodimethylamine: Is pharmacovigilance important?

Alejandra

García-Peralta,* Ismael Hernández-Ávalos**

La farmacovigilancia es una rama de la farmacología que se encarga del monitoreo de la seguridad de los fármacos; desde su desarrollo en etapaspreclínicas,hastasuseguimientoenlasfases clínicas que involucran el uso terapéutico en las poblaciones.Estadisciplinaseconsideracomouna más de las actividades de la salud pública, debido a que se encuentra destinada a la detección, identificación,cuantificación,evaluaciónyprevención de los posibles riesgos derivados del uso de los fármacos y vacunas.1

Las actividades relacionadas a farmacovigilancia promueven el uso racional de los fármacos, ya queproporcionainformaciónsobrelaseguridadclínicadeunmedicamento,ademásdequecontribuye en la monitorización de los diversos programas de trazabilidad que buscan una gestión médica e identificación de los riesgos (reacciones adversas) asociadas a la administración de fármacos.

Ejemplodeello,fueronlosreportesdecasosen losquesedocumentóquelaranitidinafueasociada al posible desarrollo de cáncer gastrointestinal.2 Terapéuticamente, este antihistamínico H2 fue desarrollado en 1976 como clorhidrato de Ranitidina. En 1981, se lanzó al mercado bajo el nombre comercial“Zantac”destacandorápidamenteporsu eficacia y una incidencia menor en las reacciones

adversas.Para1983laRanitidinafueautorizadapor laFDA(Food and Drug Administration) paratratar úlceras gastrointestinales y en 2004 se consideró como un fármaco de venta libre que permitió el tratamiento médico a corto plazo de otros padecimientos, entre ellos el reflujo gastroesofágico, esofagitiserosiva,hipersecrecióngástricayacidez estomacal.Sinembargo,eléxitodelaranitidinase vió frustrado en septiembre del 2019; momento en el cual se alertó de la presencia de altos niveles de N-nitrosodimetilamina (NDMA), hasta que finalmente en abril de 2020 se emitió una orden oficial en la que la ranitidina tendría que ser retirada por completo del mercado.3

Pero…¿realmente es culpa de la ranitidina?

Al realizar un análisis mediante cromatografía líquida de alta eficiencia hubo un hallazgo de nitrosaminas, específicamente de la NDMA; un compuesto cancerígeno identificado como un subproducto de reacciones entre nitritos y aminas en conservantes alimenticios (pescado, carne y lácteos), en la cloración del agua y la combustión del cigarro. Este metabolito asociado a estructuras químicasdenitrosaminastambiénsehaencontrado en otros fármacos como los sartanes (antagonis-

* Estudiante de Maestría en Ciencias de la Producción y de la Salud Animal. UNAM.

** Profesor de Carrera Asociado B tiempo completo. Departamento de Ciencias Biológicas. Farmacología Clínica y Anestesia Veterinaria. Facultad de Estudios Superiores Cuautitlán. UNAM.

Correspondencia: Dr en C. Ismael Hernández-Ávalos

Correo electrónico: ismael.hernandez@cuautitlan.unam.mx

AMMVEPE 2025; 36 (2): 38-40

EDITORIAL

tas del receptor de angiotensina II), metformina, itraconazol, enalapril, atorvastatina, famotidina y nizatidina.LaformacióndeNDMAseveimpulsada por procesos de autooxidación en estado sólido en presencia de oxígeno que se ve favorecida por condicionesdealmacenamientoinadecuadas:temperatura elevada, niveles moderados de humedad y una exposición prolongada al oxígeno, lo que acelera la degradación de la ranitidina y aumenta la variabilidad en la cantidad de NDMA.3

A este respecto, la FDA ha establecido como límite máximo un consumo de 96 nanogramos al día, no obstante, se estima que la ingesta promedio de nitrosamidas volátiles provenientes de los alimentos es de aproximadamente 1 microgramo al día, lo que resulta superior al límite permisible.4 Es difícil calcular un riesgo específico de cáncer relacionado con la ingesta de fármacos contaminados con nitrosamidas, sin embargo, la cantidad de NDMA encontrada en la ranitidina por la FDA fue de 9 veces más el límite máximo de ingesta permitido. Aunque en un ensayo clínico controlado, la ranitidina oral (300 mg) en comparación con un placebo, no aumentó significativamente la excreción urinaria de NDMA en 24 horas cuando los participantes consumieron carnes no curadas o dietascuradas.Estoshallazgospermiteninferirque laranitidinanogenerónivelespeligrososdeNDMA en una población general y saludable.5

En cuanto a la evidencia científica publicada, You y cols.,6 examinaron el riesgo comparativo de cáncerasociadoalusoderanitidinaencomparación a otros antagonistas del receptor H2 (AR H2). En el estudio de cohorte realizado por los autores, se incluyeron pacientes que en 20 años no presentaron antecedentes de cáncer y que tuvieron un uso cotidianodeARH2.Laexposiciónfuederanitidina frenteafamotidina,nizatidina,lafutidinayrozatidina.Losresultadosreportadosindicarontasasbrutas de incidencia de cáncer de 14.83 eventos por cada 1,000personasalañoenpacientesqueconsumieron ranitidinafrenteapacientesconsumidoresdeotros AR H2, en los que se reportaron 15.83 eventos por cada 1,000 individuos, concluyendo que el uso de ranitidina no fue asociado con un mayor riesgo de cáncer en comparación con otrosAR H2.

Otro estudio epidemiológico de tipo observacional desarrollado por Yoon y cols.,7 analizó una cohorteemparejadade40,488usuariosderanitidina y 10,122 usuarios de Famotidina (proporción 4:1) en la que no se ha detectado NDMA. El análisis realizadoindicóquenohubodiferenciaestadística en el riesgo general de cáncer entre los grupos de ranitidina y famotidina (7.45 % frente a 7.56 %,

HR 0.99, IC del 95 % 0.91-1.07, p = 0.716), por lo quenopudieronestableceralgunaevidenciadeque la exposición a la NDMA a través de la fanitidina aumente el riesgo de cáncer.

Porelcontrario,Quiñones y cols.,8 realizaronun bioensayo de micronúcleos para detectar daños en el material genético de los eritrocitos policromáticosderataspremedicadasconranitidinaencomparación con una premedicación con ciclofosfamida. Eneldiseñodelestudio,losroedoressedividieron en 4 grupos: control negativo, quienes recibieron 0.5mLdesoluciónsalinafisiológica;grupocontrol positivomedicadocon50mg/kgdeciclofosfamida y finalmente dos grupos tratados con ranitidina en dosis de 2 y 4 mg/kg respectivamente. En este estudio, se reportaron aumentos de 15 % del número demicronúcleoscuandoseusóunamayorconcentración delfármaco (4mg/kg), concluyendo quela ranitidina genera un estímulo creciente del índice genotóxico con elevada frecuencia (tres veces mayor)demicronúcleoseneritrocitospolicromáticos en ratas albinas cepa Holtzman. En conclusión, si bien algunos estudios no encontraron una asociación clara entre la ranitidina y el cáncer, otros sugirieron un aumento en índices genotóxicos y un mayor riesgo de cáncer de hígado,pulmón,cavidadnasal,esófago,páncreas, estómago,vejigaurinaria,colonysistemanervioso central debido a ingestas tóxicas de NDMA. Además, las impurezas de N-nitrosamina pueden contribuir al desarrollo de las enfermedades de Alzheimer, Parkinson y diabetes tipo 2.9 Por lo tanto,elretirodelaranitidinadelmercadofueuna medida de prevención por la presencia de agentes nocivos, con lo cual se resalta la importancia de la farmacovigilancia para evaluar los riesgos de todos los fármacos que aún se encuentran disponibles en el mercado.

REFERENCIAS

1. NORMAOficialMexicanaNOM-220-SSA1-2016,Instalaciónyoperacióndelafarmacovigilancia.Secretaría de Salud. México.

2. McGwin G. The Association between Ranitidine Use andGastrointestinalCancers. Cancers 2020;13(1):24. https://doi.org/10.3390/cancers13010024.

3. Rubiano-Jaimes IE, Sánchez-Arévalo O, Muñoz Cárdenas MP, González-Chacón FA. Seguimiento del medicamento Ranitidina, desde la innovación a la retirada del mercado debido a la formación de N-Nitrosodimetilamina: Un caso de estudio sobre la importancia del monitoreo y control de calidad por parte del Químico Farmacéutico[Internet]2025-05.Disponibleen:https:// hdl.handle.net/20.500.12495/14353

4. AdamsonRH,ChabnerBA.TheFindingofN-Nitrosodimethylamine in Common Medicines. The oncologist

García-Peralta A, et al. La ranitidina y su relación con la N-nitrosodimetilamina

AMMVEPE 2025; 36 (2): 38-40

2020; 25(6): 460-2. https://doi.org/10.1634/theoncologist.2020-0142.

5. Florian J, Matta MK, DePalma R, Gershuny V, Patel V, Hsiao CH, Zusterzeel R, Rouse R, Prentice K, Nalepinski CG, Kim I, Yi S, Zhao L, et al. Effect of Oral Ranitidine on Urinary Excretion of N-Nitrosodimethylamine (NDMA):ARandomized ClinicalTrial. JAMA 2021; 326(3): 240-9. https://doi.org/10.1001/ jama.2021.9199.

6. You SC, Seo SI, Falconer T, Yanover C, Duarte-Salles T, Seager S, Posada JD, et al. Ranitidine Use and Incident Cancer in a Multinational Cohort. JAMA network open 2023; 6(9): e2333495. https://doi.org/10.1001/ jamanetworkopen.2023.33495.

7. YoonHJ,KimJH,SeoGH,ParkH.RiskofCancerFollowing the Use of N-Nitrosodimethylamine (NDMA)

EDITORIAL

Contaminated Ranitidine Products: A Nationwide CohortStudyinSouthKorea. Journal of clinical medicine 2021;10(1):153.https://doi.org/10.3390/jcm10010153.

8. QuiñonesCME,RodríguezCJS,AmésquitaCML,Quiñones CCE, Esparza MMR. Efecto genotóxico de Ranitidina sobre elADN de eritrocitos policromáticos de Rattus novergicus cepa Holtzman. Revista del Cuerpo Médico Hospital Nacional Almanzor Aguinaga Asenjo 2022;15(1):42-5.Epub31demarzo2022.https://doi. org/10.35434/rcmhnaaa.2022.151.1070.

9. Manchuri KM, Shaik MA, Gopireddy VSR, Naziya Sultana, Gogineni S. Analytical Methodologies to DetectN-NitrosamineImpuritiesinActivePharmaceutical Ingredients, Drug Products and Other Matrices. Chemical research in toxicology 2024;37(9):1456-83. https://doi.org/10.1021/acs.chemrestox.4c00234.

ARTÍCULO DE REVISIÓN

AMMVEPE 2025; 36 (2): 41-48

AMMVEPE Vol. 36, No. 2 • Mayo-Agosto 2025 pp 41-48

Inclusión de los animales de compañía en los protocolos de actuación frente a los desastres naturales en la Ciudad de México

Inclusion of companion animals in Mexico City's natural disaster response protocols

Ylse Amari Sánchez-Solís,* María Guadalupe Sánchez-González,**

Dinorah Vargas-Estrada,*** Laura O. Arvizu-Tovar,* Iván Juárez-Rodríguez*

RESUMEN

El objetivo de la investigación es conocer si en la Ciudad de México (CDMX), los tutores incluyen a sus animales de compañía en los protocolos de acción vs. desastres naturales. La encuesta se aplica 266 personas, se encuentra que la mayoría de los participantes tiene de uno a dos animales de compañía en su hogar y las especies más mencionadas fueron los perros, gatos y conejos. El rango promedio de edad de los encuestados fue de 21 a 30 años, con un 42.48% de respuestas. El 73.66% de los participantes identifican los siniestros que afectan la zona donde viven y el 56.89% reporta que los sismos son más frecuentes. En cuanto a quienes cuentan con un plan de protección familiar, el 57.14% de las respuestas son afirmativas, de éstos, el 58.27% incluyen en sus planes de protección familiar a sus mascotas. La información demuestra la importancia de concientizar a los tutores para que incluyan a sus animales en las acciones preventivas ante un siniestro; ello permitirá salvaguardar la salud y bienestar tanto de las personas como de los animales, además de repercutir en la sanidad de las poblaciones afectadas y al mismo tiempo, evitar la presencia de enfermedades zoonóticas.

Palabras clave. Tutor, siniestros, animales de compañía, perros, conejos, gatos, mascota, plan de protección.

INTRODUCCIÓN

El vínculo entre el ser humano y los animalesestanantiguocomolaexistencia misma de los individuos. Los ejemplares nosolamentehantenidounrolenlacaza, en la recolección y como apoyo en la subsistencia de la sociedad,1,2 con el paso de los años, sus funciones zootécnicas, se han diversificado, como la incorporación

* Departamento de Medicina Preventiva y Salud Pública.

** Departamento de Genética y Estadística.

*** Departamento de Fisiología y Farmacología. FMVZ. UNAM.

Correspondencia: Laura O. Arvizu-Tovar Correo electrónico: larvizu@fmvz.unam.mx

ABSTRACT

The objective of this research is to determine whether pet owners in Mexico City (CDMX) include their pets in disaster response protocols. The survey was conducted with 266 respondents and found that most participants have one or two pets at home, and the most frequently mentioned species were dogs, cats, and rabbits. The average age of respondents was 21 to 30 years, with 42.48% of the responses. 73.66% of participants identified disasters affecting their area, and 56.89% reported that earthquakes are more frequent. Regarding those who have a family protection plan, 57.14% responded affirmatively; of these, 58.27% included their pets in their family protection plans. The data demonstrates the importance of raising awareness among pet owners so they include their pets in disaster prevention measures. This will safeguard the health and well-being of both people and animals, impact the health of affected populations, and at the same time prevent the spread of zoonotic diseases.

Key words. Guardian, accidents, companion animals, dogs, rabbits, cats, pet, protection plan.

afectiva de los perros y de los gatos a la llamada “familia multiespecie”.3 Forman parte en las actividades de recreación de lostutoresysucompañíasehavueltomuy significativa para las personas.4 También ejercen un papel importante en la asistencia de las personas con pérdida de agudeza visual y auditiva, psicomotricidad, dificultades de atención, de aprendizaje y memoria, los perros confieren a los seres humanos, beneficios de tipo social, físicos,psicológicos,fisiológicos;además delamor,afecto,seguridadyprotección.2,4 Ejemplo de ello, es la mejora de la salud físicaparasustutores,alreducirlapresión arterial, aumentar la tasa de supervivencia de pacientes con cardiopatía y que se encuentran en una etapa de recuperación, reduciendo el riesgo de enfermedad.2,4 Se

mencionaquelapresenciadeanimalesde compañíapuedemitigarlasconsecuencias del trauma y el estrés.1

Los animales de compañía son una presencia importante en los hogares de la ciudadanía, de acuerdo con la Encuesta Nacional de BienestarAutorreportado en el 2021 (ENBIARE), del Instituto Nacional de Estadística y Geografía (INEGI), a niveldehogaresenelpaísel69.8%cuenta con algún tipo de mascotas. En total se tiene un acumulado de 80 millones de mascotas:43.8millonesdeellassoncaninos, 16.2 millones son felinos y 20 millones una variedad de otras especies. En la Ciudad de México, se tiene un reporte de 61.4% de hogares con animales de compañía.5 Por su parte, Peña-Corona, et al., en el 2022, realizó una estimación sobre

Sánchez-Solís YA, et al. Inclusión de animales de compañía en protocolos de actuación frente a desastres naturales

AMMVEPE 2025; 36 (2): 41-48

Figura 1. Encuesta dirigida a los tutores o dueños de animales.

et al. Inclusión de animales de compañía en protocolos de actuación frente a desastres naturales. AMMVEPE 2025; 36 (2): 41-48

el número de perros y gatos domiciliados en el país, con un número de 42,625,010 perros y 7,346,925 gatos.6

Como consecuencia del apego de los humanos a sus perros, la pérdida de éstos pueden ser un factor de estrés importante paralaspersonas.Sehapublicadoquelos niveles de dolor después de la pérdida de un animal de compañía son comparables a los de una pérdida humana.1-3 Por ello, duranteloseventosdedesastresnaturales y sísmicos las personas deben responsa-

bilizarse del cuidado y la seguridad de las mascotas.7-11

La presente investigación busca conocer el porcentaje de tutores o cuidadores de mascotas en la Ciudad de México (CDMX) que cuentan con protocolos de actuación para el manejo y protección de los animales durante los desastres naturales en la ciudad, con el fin de emitir recomendaciones,tomandocomoreferencia los protocolos de otros países, que ya realizan dichas acciones.

ANTECEDENTES

En el año 2020, como parte de una investigación,12 sellevóacabounaencuesta a propietarios de animales de compañía, con el objetivo de identificar los tipos de desastresquehabíansufridoenlossitioso zonasdondehabitanyconocersicontaban con planes de protección para resguardar la seguridad y la vida de los ejemplares. Los resultados describen que poco más del50%delosencuestadoscuentaconun plan de protección familiar, de ellos, tres cuartas partes refiere que si cuentan con algún tipo de medida de protección.También mencionan que más del 80% trabaja o convive con animales de compañía y el 58% responde que cuenta con un plan de protección para sus ejemplares, mientras que el 90% comenta que, aunque no tiene un plan de protección familiar, si realizan acciones para salvaguardar la vida de sus mascotas ante situaciones de desastre.12

Los datos anteriores demuestran la importancia de conocer e implementar protocolos de actuación durante los siniestros,pueselnocontarconellospuede afectar a la sociedad y a los animales de compañía, razón que justifica la investigación sobre la inclusión de animales de compañía en los protocolos de actuación frente a los desastres naturales, para la toma de decisiones.

Loqueesmediblepuedesermejorado; mejorado con el fin de diseñar acciones pertinentes ante posibles escenarios que puedan alterar la salud pública; y medible para conocer, el avance por parte de los tutores en materia de protocolos de acción para enfrentar desastres naturales que incluya a las mascotas en 2023, y por otro lado, y la variación en contraste con la encuesta realizada en el año 2020.12

OBJETIVOS

Encontrarlasáreasdeoportunidadpara mejorar y fortalecer la concientización y la comprensión, con el fin de promover la prevención por medio de la planificación de acciones ante los siniestros naturales detectados; para proteger la salud y bienestar de las poblaciones humanas y animales.

Figura 1. Encuesta dirigida a los tutores o dueños de animales (continuación).

Sánchez-Solís YA, et al. Inclusión de animales de compañía en protocolos de actuación frente a desastres naturales

AMMVEPE 2025; 36 (2): 41-48

Conocer mediante la aplicación de una encuesta, el porcentaje de tutores o cuidadores de animales de compañía, en la CDMX que cuentan con protocolos de acción para el manejo de los animales de compañía durante eventos naturales que puedenconvertirseendesastre;identificar cuálessonlostiposdesiniestrosalos que se enfrentan con mayor frecuencia; detallar cuáles son las especies de animales de compañía convencionales (perros y gatos)ynoconvencionales(conejos,otras especies domésticas o silvestres) que se tienen; y conocer el avance en materia de protocolosdeacciónparaenfrentardesastres naturales que incluya a las mascotas enlaCDMX,encontrasteconlaencuesta realizada en el año 2020.

Diseño de la encuesta

Se desarrolla estudio observacional de tipo transversal con un muestreo no probabilísticodenominadoporconveniencia, dirigida a los tutores de mascotas en la CDMX. La encuesta se constituye por 11 preguntas cerradas y de opción múltiple para investigar el conocimiento sobre los siniestros que afecta la zona donde se vive, que tipo de ejemplares se tienen y las acciones que se llevan a cabo para protegerlos, en las diferentes alcaldías de la CDMX.

Seutilizandosformatosdeaplicación: unformatoenmedioimpresoyunformato enplataformadigital(formulariosdeGoogle);paraelsegundoformatosedifundieron folletos con la invitación a participar en la encuesta al acceder al código QR o enlace del formulario (Figura 1).

MÉTODO

Se aplica encuesta a las familias que contaban con animales de compañía que acuden a la Jornada de Medicina Veterinaria y Bienestar Animal del año 2023,13 con el fin de aprovechar la campaña de vacunación antirrábica organizada por el Departamento de Medicina Preventiva y Salud Pública de la Facultad de Medicina VeterinariayZootecniadelaUniversidad NacionalAutónomadeMéxico(DMPSPFMVZ/UNAM), organizada en Ciudad

Universitaria, alcaldía de Coyoacán en la CDMX. Dicho evento reúne a un gran número de instituciones gubernamentales, no gubernamentales, dependencias universitarias, asociaciones civiles; así como, cientos de familias acompañadas con sus ejemplares, razón por la cual se decideaplicarlaencuestaparaprofundizar y continuar con la investigación realizada en el año 2020,12 para determinar los avances respecto con la inclusión de los animalesdecompañíaenlosprotocolosde acción ante eventos naturales que pueden ocasionar desastres.

Los resultados se codifican para un mejor análisis mediante el programa IBM SPSS Statistics versión 25. Se elabora una base de datos para el análisis descriptivo de los resultados, con los programas EXCEL 2019, propiedad de Microsoft Office®ySTATA®11connúmerodeserie 40110528433delDMPSP-FMVZ/UNAM.

RESULTADOS Y DISCUSIÓN

El establecimiento de un plan de protección o acciones para salvaguardar la vida propia,14 y de los animales de compañía ante los desastres naturales, se puederealizardeformaeficazdependiendodealgunoselementoscomoson:tipoy número de ejemplares, la zona donde se vive, los siniestros que afectan la comunidad, la edad y el número de integrantes de la familia. Estos elementos permiten una mejor planeación y distribución de lasactividadesdeprotecciónylogística.7-9

Ambos tipos de animales (21.43%)

Animales no convencionales (4.14%)

La encuesta obtuvo un total de 266 formularios cuyas respuestas se analizan y se obtienen los siguientes resultados.

• Género de los participantes encuestados. Del análisis de la información sedesprendequeconrespectoalgénerodelostutoresencuestadoselmayor porcentaje de tutores son mujeres y un bajo porcentaje de cuidadores no menciona su género (Cuadro 1). El rango de edad promedio fue de 21 a 30 años que representa el 42.48% de los encuestados.

• Tipos de animales que forman parte de las familias encuestadas. El análisis muestra que la mayoría de las familias tienen animales de compañía convencionales, las especies más frecuentes son perro y gato; y de las no convencionales el conejo (Figura 2).

• Número de animales que forman parte de las familias encuestadas. Las acciones preventivas suelen estar limitadas en hogares que cuentan con varios animales; se encontró con fre-

Cuadro 1. Génerodetutoresqueparticiparon enlaencuesta.

Génerode Frecuencia encuestados (%)

Femenino(mujeres) 64.29

Masculino(hombres) 35.34

Sinespecificar 0.38

Animales convencionales (73.68%)

Figura 2. Porcentaje de tipo de animales de compañía que forman parte de las familias encuestadas.

et al. Inclusión de animales de compañía en protocolos de actuación frente a desastres naturales. AMMVEPE 2025; 36 (2): 41-48

cuencia que se tiene un animal o dos; sin embargo, existen algunas familias que cuentan con más de dos animales de compañía, por lo que, de contar conunplandeacciónpreventivo,será difícilteneréxitoenelmanejoymovilizacióndelosanimaleseneventoscon probabilidaddeconvertirseendesastre (Cuadro 2).

• Identificación de los fenómenos naturales. Para poder establecer medidas de seguridad ante un siniestro, es indispensable conocer e identificar los fenómenos naturales que ocurren en la región donde se ubican los hogares.7-9 En México los fenómenos naturales con alto poder destructivo son frecuentes y afectan directamente a las poblaciones vulnerables, el país se encuentra con alto riesgo de sufrir desastres geológicos, al estar ubicado a lo largo del “Cinturón de fuego”, donde ocurre el 80% de la actividad sísmicamundial.Enpromedio,elpaís experimenta más de 90 sismos. Adicionalmente, la CDMX se encuentra

asentada en el Eje Volcánico, donde se ubican nueve volcanes activos. Por otro lado, también México es un país vulnerableafenómenoshidrometeorológicos, por la formación de ciclones tropicalesenlacostadelPacíficoydel Golfo de México, además de fenómenosqueseasocianconlainestabilidad de los suelos.14,15

Cuadro 2. Númerodeanimalesdecompañía porfamilia.

Animalesporhogar Frecuencia(%)

Al cuestionar a los participantes sobre los siniestros que afectan la zona donde viven, la mayoría de ellos afirman poder identificarlos (Cuadro 3).

La figura 3 muestra el tipo desiniestro quehanidentificadoconmayorfrecuencia los encuestados.

En la encuesta del año 2020,12 se destaca que el 42% de los encuestados menciona que el evento más común es de tipo sísmico, seguido por inundaciones conel22%,datosquenovaríansegúnlos resultados en la presente investigación.

Estosdatosconcuerdanconlapublicación de la Organización de las Naciones Unidas (ONU), que menciona que el país de México es una de las 30 naciones con mayor incidencia en la exposición a desastres naturales y que presentan tres o más de estos eventos con múltiples magnitudes al año.14

Cuadro 3. Tutoresencuestadosidentificanlostiposdesiniestrosnaturalesqueocurrenenelsitio dondehabitan.

Identificacióndeltipodefenómenosnaturales Frecuencia(%)

Síloidentifican

Noloidentifican

Otros siniestros naturales (6.02%) Deslaves (2.76%)

Inundaciones (15.54%)

Caída de ceniza volcánica (18.8%) Sismo (56.89%)

• Acciones durante fenómenos naturales con potencial de convertirse en desastres. En México, las familias aprenden durante los años de enseñanza escolar, a identificar las zonas seguras y los puntos de reunión en los hogares, escuelas, centros de trabajo, por lo que un punto vital en los planes de prevención es la realización de simulacros.14 Sibienlaciudadaníanoes experta en protección civil, sí cuenta con conocimiento básico que permite cuidarlaintegridadylasaludpersonal, por tal motivo, se realiza una serie de preguntas para conocer el tipo de acciones o planes durante un desastre natural.Losresultadossedescribenen el cuadro 4.

En el año 2020,12 los resultados de la encuesta realizada describen que el 53% delapoblacióncuentaconunplandeprotección familiar, de estos, el 75% de los participantes refiere que sí lleva a cabo algún tipo de medida de protección.12 Al comparar los resultados de las encuestas (2022 y 2023), se encentra que en 3 años hubo un incremento de tan solo el 4% en los planes y acciones preventivas y de protección.

En la figura 4, se exponen los resultados de la encuesta con relación al número

Figura 3. Porcentaje de tipo de siniestros identificados por los encuestados en la CDMX.

Sánchez-Solís YA, et al. Inclusión de animales de compañía en protocolos de actuación frente a desastres naturales

AMMVEPE 2025; 36 (2): 41-48

Cuadro 4. Familiasquecuentanconunplandeaccióndurantelosdesastresnaturales.

Cuentanconplandeacciónantelosfenómenosnaturales Frecuencia(%) Si

No lo ha considerado (13.91%)

Tal vez incluyen animales (6.39%)

No incluyen animales (21.43%)

Incluyen animales de compañía (58.27%)

Cuadro 5. Objetosydocumentosconlosque,lostutores,evacúanasusmascotas.

Elementosconlosquetutoresevacuanasusanimalesdecompañía

Frecuencia(%)

Mochiladeemergencia,identificación,lugarderesguardo, 17.29 omediosdecontención,númerosdeemergencia,entreotros

Losanimalescuentanconmedicinapreventivayserespaldapor 3.38 unexpedientemédico(vacunación,desparasitacióninternaoexterna)

Evacúancontodosloselementosrecomendados

Sí sabe (14.29%)

No sabe (69.55%)

Tal vez (14.29%)

de familias que incluyen en sus planes de protección familiar y evacuación a sus animales de compañía.

Este resultado es solo superior en un 0.27% al encontrado en la encuesta aplicada en 2020,12 en dicha encuesta el 86% mencionó que trabajaba o convivía con animalesdecompañíayel58%respondió que contaba con un plan de protección para sus animales, mientras que el 90% señalóque,aunquenotuvieronunplande protecciónfamiliar,sirealizaronacciones para salvaguardar a los ejemplares ante situaciones de desastre.12

Sibienlosdatosanterioresmanifiestan que sí existe una cultura de inclusión de los animales de compañía respecto a las accionespreventivasporpartedelostutores o cuidadores ante desastres naturales; esimportanteidentificarenquéconsisten dichas acciones preventivas, del mismo modo es importante conocer las acciones que promueven los servicios veterinarios locales en materia de prevención y planes de protección para animales de compañía ante fenómenos naturales que pueden constituirse en desastres ambientales, (si es que estos servicios cuenta con algún plan) y la forma de promoverlo y darlo a conocer a los cuidadores de los animales que visitan dichos servicios.

• Acciones preventivas en materia de desastresnaturalesconrelaciónalos animalesdecompañía.Hayelementos que se recomienda llevar a cabo para proteger a los animales y que disminuyen el riesgo que en un momento dado se pudiera enfrentar ante un desastre; entrelasrecomendaciones,semenciona que los animales estén identificados, movilizarlos mediante transportadora o cualquier elemento para contenerlo, preparar una mochila de emergencia que contenga suministros para el animal de compañía que consiste en: un botiquín básico para proporcionar atención médica simple, alimentos y agua suficiente; además es recomendablecontarconelexpedientemédico del animal que respalde la correcta y oportunavacunaciónydesparasitación interna o externa (medicina preventiva). Con esta mochila y las acciones

Figura 4. Porcentaje de familias que evacúan con sus animales de compañía.
Figura 5. Porcentaje de familias que conocen que el establecimiento que brinda los servicios veterinarios de sus animales de compañía cuenta con una planificación para evacuarlos ante un siniestro.

Acciones previas al evento (7.89%)

de compañía en protocolos de actuación frente a desastres naturales. AMMVEPE 2025; 36 (2): 41-48

Combinaciones de ambas acciones

Acciones posteriores (6.02%)

Figura 6. Porcentaje de encuestados que identifica las acciones de protección para llevar a cabo en caso de siniestro en los lugares que brindan algún servicio veterinario.

pertinentes, se puede ayudar a salvaguardarlaintegridaddelosejemplares durante el siniestro (Cuadro 4).11

Los tutores de animales de compañía,11,16 es conveniente que conozcan los protocolos de acción ante eventos naturales que promueven los establecimientos veterinarios locales que atienden a sus ejemplares si es que se cuenta con dichos protocolos de acción, los resultados se muestran en la figura 5.

Los animales y los seres humanos presentan la misma vulnerabilidad ante los desastres,11 por este motivo parte de la responsabilidad de los tutores,16 es integrarse a las actividades de protección civil, por ejemplo, contar con un plan de acciónduranteestoseventos,quepermita laproteccióndeaquellosbajosucuidado.

Losencuestadosayudaronaidentificar las acciones de protección que conocen o que consideran pertinentes para llevar a cabo en los lugares que brindan algún servicio veterinario; las acciones fueron divididas en tres categorías:

1) Acciones previas (señales de emergencia, respaldo de información, simulacros, capacitación del personal y uso de extintores).

2) Acciones posteriores (revisión de instalaciones posteriores al siniestro, brindar asesoría respecto al qué hacer ante estas situaciones, resguardo de animales, prestación de servicios veterinarios); y

3) Unacombinacióndetodasesasacciones para asegurar el correcto cuidado de los especímenes ante fenómenos naturales que pueden constituirse en desastres (Figura 6).17-20

Según la literatura revisada, en diferentes países la planificación de los protocolosdeprotecciónfamiliarsepuede dividirencuatroomásfases,seconsidera también,elmomentodelareconstrucción; el reconocimiento de emergencia, de propagación y de conclusión. Los servicios veterinarios oficiales pueden verse comprometidos durante los siniestros. Ante una de estas calamidades se producen situacionesquecomprometentambiénlos recursosdecaráctereconómico-sanitarios porloqueunaadecuadayprontarespuesta de los profesionales veterinarios y de los sistemasdeproteccióncivilesindispensable para evitar afectación en las personas y/o en los animales de compañía.7-9

Existen brechas significativas en la incorporación de protocolos de salud y bienestar animal en la legislación y los planesnacionalesderespuestaadesastres. La designación de responsabilidad legal a una autoridad competente falta o está incompleta en varios países. Además, hay una amplia gama de autoridades competentes identificadas como líderes en la respuesta a desastres. Es importante que los servicios veterinarios y las autoridadescompetentesdeterminentodaslas especies animales que están cubiertas por

sus planes nacionales e identifiquen qué entidad del país tiene la responsabilidad sobreellas.Enmuchoscasos,losservicios veterinarios representan la única entidad organizada a nivel nacional capaz de responder a las necesidades de los animales decompañíaencasodedesastres,incluso si no están legalmente dirigidos; por lo que sería importante considerar realizar actividades de planificación y respuesta, en caso de desastres, considerando las especies animales locales y prever los peligros que puedan generarse y la forma de enfrentarlos.17-20

La planificación para la incorporación de las necesidades de los animales de compañíaencasodedesastresalosplanes de protección, es responsabilidad de tres sectores: el gobierno, las familias y los servicios veterinarios, quienes al trabajar enconjuntopuedendesarrollarnuevasherramientas para salvaguardar el bienestar animal y la salud pública.

La gestión de recursos en materia de desastres y la reducción de riesgos en la salud y el bienestar animal es responsabilidad de los tres ámbitos de gobierno, multisectorial, multidisciplinaria, que involucre a la sociedad. Los resultados de la encuesta indican que existen brechas significativas en la identificación y reconocimiento de estos actores y sus contribuciones.

Esimportantecomprenderquelainclusióndelosanimalesaestetipodegestiones es una necesidad, para preservar la salud psicológica de las personas, y también porque ayuda a preservar la salud pública y la sanidad de las comunidades. Este tipo de herramientas junto con la tenencia responsable, en conjunto con la vigilancia epidemiológica, permite el desarrollo de nuevosinstrumentosdeinvestigaciónpara resolver los problemas generados por los siniestros en el país, que involucra a los animales.1,11,19

El apoyo de organismos internacionales como la Organización Mundial de SanidadAnimal (OMSA), que ha elaborado protocolos encaminados a mejorar el bienestar animal,10 o las dependencias no gubernamentales como WAP o HSI,19 que cuentan con experiencia en el apoyo y capacitación de médicos en

Sánchez-Solís YA, et al. Inclusión de animales de compañía en protocolos de actuación frente a desastres naturales

AMMVEPE 2025; 36 (2): 41-48

rescate y cuidado animal en situaciones adversas. Es indispensable que el Estado Mexicano se apoye de los lineamientos generados por estos organismos para incorporarlo a las políticas nacionales, a la legislación y a la gestión de riesgos, con el propósito de crear medidas para actuar de forma oportuna y eficiente, ante situaciones de crisis y así lograr una restauración de la resiliencia de las poblaciones afectadas.

Los datos obtenidos mediante la encuesta permiten diseñar las acciones de protección de los animales durante estos siniestros, que son parte de los primeros pasos en materia de protección ante estos fenómenos naturales en la CDMX, las acciones que deben realizarse antes, durante y después del suceso. Con estos datos dará inicio el desarrollo de un manual, con asesoría de expertos, aún queda un largo camino por recorrer, que incluya capacitacionesenloshogaresyenlosservicios veterinarios, para implementar los protocolosyconcientizarsobreelcuidado ylaproteccióndelosanimalesdurantelos siniestros naturales.

CONCLUSIONES

Esindispensableincluiralosanimales en los protocolos familiares de actuación ante desastres naturales, además de ser responsabilidad de los tutores, cuidar y proteger a sus animales de compañía durante estos eventos. Se permitirá preservar la salud pública al evitar la transmisión de enfermedades zoonóticas o el ataque de los animales hacia las personas cuando son abandonados. Las familias deben tener un plan de acción, mantenerse informadas sobre las alertas, avisos de emergencia y deben participar en simulacros. Un plan de prevención disminuirá los desastres tras realizar una evacuación y evitará que las personas intenten regresar a las zonas de peligro, para rescatar a los animales de compañía que por el suceso fueron dejados atrás; y, almismotiempo,sepretendedisminuirel riesgo para los grupos de rescate.

REFERENCIAS

1. ChadwinR.Evacuationofpetsduringdisasters: a public health intervention to increase resilience. Analytic Essays 2017; 107(9): 1413-7. doi: 10.2105/AJPH.2017.303877

2. Hunt M, Hind Al A, Johnson M. Psychological sequelae of pet loss following hurricane Katrina. Antrozoos 2008; 21(2): 109-121. https://doi. org/10.2752/175303708X305765

3. Acero-Aguilar M. Esa relación tan especial con los perros y con los gatos: la familia multiespecie y sus metáforas. Tabula Rasa 2019; 32: 157-79. https://doi. org/10.25058/20112742.n32.08

4. Folch A, Torrente M, Heredia L, Vicens P. Estudio preliminar de la efectividad de la terapia asistida con perros en personas de la tercera edad. Revista Española de Geriatría y Gerontología 2016; 51(4): 210-6. https://doi.org/10.1016/j.regg.2015.12.001

5. INEGI. ENBIARE Presenta INEGI resultados de la primera encuesta nacional de bienestar autorreportado (ENBIARE). DOF: 2021. doi: https://www.inegi.org.mx/ contenidos/saladeprensa/boletines/2021/ EstSociodemo/ENBIARE_2021.pdf

6. Peña-CoronaSI,Gómez-VázquezJP,LópezFlores EA, Vargas-Estrada D, Arvizu-Tovar LO, Pérez-Rivero JJ, Juárez-Rodríguez I, Sierra-Reséndiz A, Soberanis-Ramos O. Use of an extrapolation method to estimate the population of cats and dogs living at homes in Mexico in 2022. Veterinaria México OA 2022; 9. https://doi.org/10.22201/ fmvz.24486760e.2022.1001

7. Leonardi M, Borroni R, di Gennaro M. Veterinary medicine in disasters. Ann Ist Super Sanita 2006; 42(4): 417-21. https://pubmed. ncbi.nlm.nih.gov/17361064/

8. Pezza F, López MC, Cárceles CM. Plan de intervención veterinaria en casos de calamidades. Anales de Veterinaria de Murcia 1991; 6-7: 45-50. https://revistas.um.es/analesvet/ article/view/20101

9. Vroegindewey G. Animal health in the light of natural disasters and bioterrorism. OIE 2014: 1-11. https://www.woah.org/ fileadmin/Home/eng/Publications_%26_Documentation/docs/pdf/TT/2014_EUR1_ Vroegindewey_A.pdf

10. SEGOB, WAP, et al. Seminario internacional para la Protección Animal en la gestión integral del riesgo memorias. CENAPRED. CDMX, México: 2016.

11. Humane Society International. Realizan simulacro de evacuación de sismo con animales de compañía en la Ciudad de México (28/agosto/2018). https://www.hsi.

org/news-resources/realizan-simulacrode-sismo-con-mascotas-ciudad-de-mexico-082818/?lang=es

12. Sánchez-Solís YA. Manejo de los animales de compañía ante los desastres naturales en México. CDMX. Tesis de licenciatura. UNAM-FMVZ; 2020. https://tesiunam.dgb. unam.mx/F/?func=direct&doc_number=000 802000&noSistema&current_base=TES01

13. UniversidadNacionalAutónomadeMéxico. La UNAM realizara la séptima jornada de bienestaranimal.UNAMglobal2017agosto 8. https://unamglobal.unam.mx/global_revista/la-unam-te-invita-a-la-7a-jornada-debienestar-animal/

14. México previene A.C. CDMX en riesgo desastres naturales y resiliencia. 2020. doi: https://mexicoprevieneac.org/wp-content/ uploads/2020/09/DesastresyResiliencia.pdf

15. CadenaCM.AnálisisdeGravedadyFrecuencia de Desastres Naturales en México MedianteAlgoritmosdeClasificación.Congreso EstudiantildeInteligenciaArtificialAplicada alaIngenieríayTecnología,UNAM,FESC, Estado de México. 2024. https://virtual. cuautitlan.unam.mx/intar/memoriasceiaait/ wp-content/uploads/sites/19/2024/12/84Analisis-de-Gravedad-y-Frecuencia-deDesastres.pdf

16. Díaz-Polanco H. Iniciativa con proyecto de decreto por el que se reforma la fracción IV del artículo 12 de la Ley de protección a los animales de la Ciudad de México. Congreso de la CDMX 2022. https://www. congresocdmx.gob.mx/media/documentos/dd2c01654345f66dfd35e053f6455cb3cdd975d1.pdf

17. Chávez-Quintana PR. Reseña histórica sobre la medicina veterinaria de desastres en cuba. REDVET 2010; 11(3B): 1-4. doi: https://www.redalyc.org/articulo. oa?id=63613140065

18. Pefanis SM, Du Preez JH. National disasters and the veterinarian. Journal of the south African veterinary association 1987; 58(2): 63-9. doi: https://journals.co.za/doi/ pdf/10.10520/AJA00382809_1068

19. OIE. Guidelines on disaster management and risk reduction in relation to animal health and welfare and veterinary public health (guidelines for national veterinary services) 2016:1-8. doi: https://www.woah. org/app/uploads/2021/03/disastermanagement-ang.pdf

20. El papel de los médicos veterinarios en situaciones de desastre. Revista Clínica veterinaria 2019. doi: https://www.revistaclinicaveterinaria.com.br/es/sin-categorizar/ el-papel-de-los-mdicos-veterinarios-ensituaciones-de-desastre/

ARTÍCULO DE REVISIÓN

AMMVEPE 2025; 36 (2): 49-56

AMMVEPE Vol. 36, No. 2 • Mayo-Agosto 2025 pp 49-56

El cerdo como modelo quirúrgico en cirugía de tórax

The

pig

as a surgical model in thorax surgery

Jorge Luna del Villar-Velasco,* Norma Silvia Pérez-Gallardo,*

Fabián Jair Espinoza-Rebollo,** Melany Joyce Escobar-Guzmán**

RESUMEN

En la Coordinación de Enseñanza Quirúrgica e Investigación del Departamento de Medicina, Cirugía y Zootecnia en Pequeñas Especies de la Facultad de Medicina Veterinaria y Zootecnia (FMVZ) de la Universidad Nacional Autónoma de México (UNAM) se realizan cirugías en el cerdo con fines docentes. Esta práctica permite observar un sin número de patologías, de modo que sienta las bases para conformar en un futuro, el Centro de Investigación y Práctica Quirúrgica en la FMVZ de la UNAM, mismo que puede ser factible coordinar con la Facultad de Veterinaria de Ciego de Ávila, Máximo Gómez Báez. De manera conjunta y a distancia, se prevé ofrecer adiestramiento e investigación referente a los abordajes en las cavidades corporales, aunado a las cirugías más comunes que se llevan a cabo en la clínica de pequeños animales. En este escrito se presenta un caso en cerdo, para práctica de licenciatura, donde se efectúa toracotomía exploratoria, identificándose el conducto arterioso persistente (PCA). Se indica a los estudiantes esencial atención hemodinámica y anestésica para mantener estable al paciente durante el procedimiento, sujeto al protocolo indicado para pacientes con esta patología. Por tanto, fue posible evaluar conceptos teóricos y habilidades prácticas sobre las diferentes patologías en tórax. Se detalla el abordaje y corrección, las precisiones en el manejo, anatomía y dificultades quirúrgicas. El cerdo se acepta como modelo de estudio para diferentes especialidades médicas con la filosofía de transpolar las investigaciones hacia la especie humana.

ABSTRACT

In the Coordination of Surgical Teaching and Research of the Department of Medicine, Surgery and Animal Husbandry in Small Species of the Faculty of Veterinary Medicine and Animal Husbandry (FMVZ) of the National Autonomous University of Mexico (UNAM) a number of surgeries have been performed on pigs for teaching purposes. This practice has allowed us to observe countless cases of pathologies, which has led to lay the foundations for forming in the near future, a Center for Research and Surgical Practice both at the FMVZ of the UNAM, and at the Veterinary School of Ciego de Avila, Maximo Gomez Baez. In a joint and remote manner, it would be offered to allow certain training and research regarding the different approaches in body cavities, as well as the most common surgeries carried out in the small animal clinic. This paper will present a case of a pig that underwent surgery in a bachelor’s practice, where it was previously observed that an exploratory thoracotomy was performed; identifying that it had a patent ductus arteriosus (PCA). The students were instructed to take special care of the patient, and to give him special hemodynamic and anesthetic attention to keep him stable during the procedure, subject to surgery. The students were also asked to undergo surgery with the entire protocol indicated for patients with this pathology. Therefore, it was possible to evaluate theoretical concepts and practical skills on the different pathologies in the thorax. The approach and correction, and the precisions in the handling, anatomy and surgical difficulties are detailed. It is important to mention that the pig is accepted as a study model for different medical specialties with the philosophy of transposing the different investigations towards the human species. In this work, theoretical knowledge and theoretical-practical skills of the different pathologies that can occur in the thorax of animal species were evaluated, the way to approach and correct is detailed, as well as the experience of this pathology in this animal, and its complications that were observed from the handling, anatomy and surgical difficulties in these animals.

Palabras clave. Cerdo, práctica quirúrgica, conducto arterioso, modelo de estudio.

INTRODUCCIÓN

El uso de modelos biológicos en la docencia quirúrgica permite desarrollar habilidades tangibles desde el punto de

Key words. Pig, surgical practice, ductus arteriosus, study model.

vista anatómico, fisiológico y quirúrgico para identificar y corregir patologías que se presentan en la práctica profesional en varias especies animales, incluso en el ser humano; en este caso, se demuestra el manejo, la anestesia y la intervención quirúrgica en cerdo con persistencia de conducto arterioso (PCA).1-3

OBJETIVO

* Académico. Departamento de Medicina, Cirugía y Zootecnia para Pequeñas Especies. FMVZ UNAM. ** Estudiante. FMVZ. UNAM.

Correspondencia: MVZ Jorge Luna del Villar-Velasco Correo electrónico: jlunadelvillar@yahoo.com

Evaluar los conocimientos y habilidades teórico-prácticas en las diferentes patologías que se pueden presentar en el tórax en las especies animales, de manera particular en cerdo, como la presencia en PCA.3-6

Luna del Villar-Velasco J, et al. El cerdo como modelo quirúrgico en cirugía de tórax

AMMVEPE 2025; 36 (2): 49-56

MATERIAL BIOLÓGICO Y MÉTODOS

Los estudiantes que cursan el 9o. semestre de la profesión de médico veterinario, inscritos en la asignatura de Práctica de Cirugía en la FMVZ UNAM, llevan a cabo el procedimiento. Se realiza el estudio en los quirófanos del de la Coordinación de Enseñanza Quirúrgica. Se consideraron criterios de inclusión y exclusión (Cuadro 1). Se maneja un estudio prospectivo, transversal, experimental y analítico. Se ajusta en tres módulos, el primero constó de tres fases:

Cuadro 1. Criteriosdeseleccióndeestudiantes.

Criteriosdeinclusión

conocimientos teóricos del tema, del material (Cuadro 2) y del procedimiento quirúrgico (Cuadro 3). Como parte de esteprimermóduloA):educativo-teórico, se evalúa a los estudiantes mediante un examenoralrespectoalosconocimientos teóricos indispensables respecto al tema, aunado al examen clínico pre intervenciónycotejodematerial.Posteriormente, el profesor, cirujano de tórax, imparte a los involucrados la clase teórico-práctica interactiva y al término de ésta, los estudiantes continúan con el: B) segundo módulo (eficacia), que consiste en el

desempeño de la técnica, espacio donde seestimanlashabilidadesquirúrgicas.De manera puntual, se divide en seis fases: antisepsia,anestesia,incisión,toracotomía exploratoria (acceso), técnica quirúrgica de la patología a tratar, cierre del tórax y tiempooperatorio (Cuadro 3). Porúltimo, el tercer módulo es el cumplimiento del objetivo, el cual consta solamente de una fase, sustentada en una serie de preguntas, identificación y ligadura del PCA (Cuadro 3).7-11,12,15

El procedimiento quirúrgico consiste en la disección de los músculos torácicos

Criteriosdeexclusión

• EstudiantedelacarreradeMédicoVeterinarioZootecnista,

• Estudiantequenoestécursandoel9o.semestre enlaFacultaddeMedicinaVeterinariayZootecniaenla

• EstudiantesincursarCirugíaIyCirugíaII UniversidadNacionalAutónomadeMéxico(FMVZUNAM)

• Estudiantede9o.semestre.

• EstudiantequehayacursadoyaprobadolasmateriasdeCirugíaIyCirugíaII

Cuadro 2. Materialesutilizadosenelmodelobiológicoquirúrgicodecirugíadetórax.

Anestésicos

• Estudianteconmásde20%deinasistenciaenelsemestre

Azaperona(Stresnil40mg/ml)

*LabElanco

Lidocaina(20mg/ml)

*LabPisa

NorepinefrinaPridam(4mg/4ml)

*LabPisa

• Cánulasendotraqueales

• CatéteresEV

• Telasadhesivas

• Suturapoliglactina910calibre2-0

Ketamina(100mg/ml)

*LabChemie

Meloxicam(5mg/ml)

*LabVirbac

Adrenalina(0.0333mg/ml)

*LabAranda

Insumoseinstrumental

• Laringoscopio

• Buretas

• Gasas

• Sedacalibre2-0encarrete

Propofol(10mg/ml)

*LabRichmondVetPharma

Tramadol(50mg/ml)

*LabPisa

ClorhidratodeHeptaminol50mgy

Diprofilina50mg(Frecardyl50ml)

*LabVetoquinol

• Venoclisisnormogotero

• Rasuradoraeléctrica

• Ambú

• Sedacalibre2encarrete conpuntaredondaypuntatriangular

• Suturaspolipropileno3-0con

• Suturapolipropilenocalibre2 conagujapuntaredonda

• Jabónquirúrgicodeclorhexidina

• Guantesquirúrgicos conagujaredonda

• Cubrebocas

• Pijamaquirúrgica

• Jeringade10mldelNo.20G

• Jeringade1mldelNo.20G

• Máquinadeanestesiainhalatoria

• Mesaparausosmúltiplesenquirófano

• Catétercentral

• Gorroquirúrgico

• Camposquirúrgicos

• Jeringade5mldelNo.20G

• Equipoparacirugíadetórax

• Mesaparacirugíadeaceroinoxidable

• Mesalargaparainstrumental

• Tuboparadrenajepleural

• Bataquirúrgica

• Jeringade3mldelNo.20G

• Equipodecirugíagenera

• Porta-sueros

• ColumnadeaguaparamedirPVC

• Sellodeaguacomercial

2025; 36 (2): 49-56

Cuadro 3. Instrumentodeevaluación.

Módulo Temadeevaluación Pregunta Sí No

I.Educativo-teórico 1.Conocedeltema

¿Conoceladefinicióndetoracotomía?

¿ConocelafisiopatologíadelPCA?

¿Conocelatécnicaoperatoriayanestésica?

¿Conocelascomplicacionesoperatorias?

TOTAL________

2.Conocematerial

¿SabecuáleslapinzaMixteryparaqueseusa?

¿SabecuálessonlaspinzasdeSatinskyyendóndeseemplean?

¿Sabecuálessonlaspinzasdedisecciónvascular?

¿SabecuálessonlosseparadoresFinochieto?

¿Sabecuálessonlaspinzasdebronquio?

¿SabecuálessonlaspinzasBulldog?

3.Conocetécnica

II.Eficiencia 1.Antisepsia

2.Anestesia

3.Disección

4.Incisión

5.Cierre

6.Tiempo

TOTAL________

III.Cumplimiento Realizacióndelatécnica

¿Conocelaantisepsiapersonal,delmodeloysabecolocarcampos?

¿Conocelatécnicadeanestesia?

¿Conocecuáleslatécnicadecanulacióntraqueal?

¿CómoserealizaladisecciónyligaduradelPCA?

¿Cómoseafrontanlascostillaslatoracotomía?

¿Secolocagorro,botasycubrebocas?

¿Realizaunadecuadolavadodemanos?

¿Secolocaguantesadecuadamente?

¿Realizaantisepsiaadecuadamente?

¿Lograrealizarlaadecuadaanestesiadelpaciente?

¿Realizalaincisiónenelsitioadecuado?

¿Disecóconintegridadlosplanosmusculares?

¿Cómoincidiólaregión,ocomoabordólaregión?

¿Cómorealizauncierreperfectodelaherida?

¿Efectúaelprocedimientoentre2-3horas?

¿LograrealizarlaaproximaciónyligaduradelPCA? deobjetivo paracorregirelPCA

4. Reseñadelpaciente.

• Especie: Porcino

• Color: Rosa

• Raza: Landrace

• Edad: 5meses

• Género: Hembra

• Peso: 12.34kg

Cuadro 5. Medicamentosadministrados.

Cuadro

Luna del Villar-Velasco J, et al. El cerdo como modelo quirúrgico en cirugía de tórax

AMMVEPE 2025; 36 (2): 49-56

Cuadro 6. Medicamentosdeurgencia.

Fármaco Dosis Dosis (mg/kg) (mL)

Adrenalina 0.100 0.27

Atropina 0.044 1.20

Doxapram 1.250 3.08

Frecardyl 10.000 2.46

del cerdo; posteriormente, se realiza la toracotomía,seprocedeahacerdisección delmediastinodorsalalcorazón,serefiere el nervio vago hacia ventral; enseguida, se identifica el conducto arterioso, por debajo de la aorta y por arriba de la arteria pulmonar, para ser disecado con una pinza Mixter y se realizan dos ligaduras dobles manuales, separadas entre sí; se verificanvariableshemodinámicasconlos monitores conectados al paciente. Finalmente, se cierra el espacio pleural al unir las costillas con suturas de grueso calibre y ligaduras con nudos manuales (palmas para arriba); se coloca un tubo de drenaje pleural caudal a la toracotomía de calibre similar al grosor del bronquio principal y se conecta con un sistema de sello de agua para recuperar la presión negativa del espacio pleural. Se sutura cada plano muscular con sutura absorbible y el plano dérmico con sutura no absorbible.8-9

Aspectos éticos

El procedimiento se realiza dentro de las prácticas de cirugía, en modelo biológico, el cerdo, que proviene del Centro de Enseñanza, Investigación y Extensión enProducciónPorcinaCEIEPP,Jilotepec, Estado de México, criados ex profeso. Estas prácticas justifican ampliamente la enseñanza quirúrgica, que a la postre beneficia el desarrollo profesional del estudiante,paraqueadquieralasherramientas necesarias encaminados a resolver los casos de PCAen pacientes con presencia de la patología.

Análisis estadístico

Para la metodología estadística se capturan los resultados de los cuestiona-

taquicardia en el trazo electrocardiográfico y saturación baja

Figura 1. Monitor donde se observa
(SpO2) en la oximetría de pulso.
Figura 3. Disección cuidadosa del PCA con la ayuda de la pinza vascular De Bakey.
Figura 2. Disección del PCA con pinza Mixter.

El cerdo como modelo quirúrgico en cirugía de tórax

AMMVEPE 2025; 36 (2): 49-56

rios en el programa Microsoft Excel®, donde se realizan las tabulaciones de los estudiantes. Posteriormente, se utiliza el análisis exploratorio para el reporte del tipo de distribución de las variables y al presentarse distribución normal de la muestra, se realizan pruebas t de Student correspondientes.

Presentación del cerdo como modelo quirúrgico en cirugía de tórax

Serealizalareseña (Cuadro 4), sepesa y se elabora el plan anestésico (Cuadro 5) para la intervención, que inicia a las 10:30 am.

Primera administración de atropina 10:50 am, se repite cada 40 minutos debido a la manipulación del nervio vago durante la cirugía. Es conveniente contar con los insumos de urgencia (Cuadro 6). En la sala de preparación se realiza manejo pre anestésico con meloxicam, tramadol y azaperona por vía intramuscular; al manifestar el paciente efecto del tranquilizante se canaliza por vía endovenosa en la vena auricular para la perfusión de la terapia de líquidos y la administración de la anestesia inyectable con Propofol a 8 mg/kg, como inductor. Se hace evidente la relajación y pérdida de consciencia, acto que permite canular alpacientevíaendotraqueal.Enseguidase realizatricotomíadelhemitóraxizquierdo. Unavezrealizadalaantisepsia,setraslada al cerdo al quirófano para ser conectado a la máquina de anestesia inhalatoria, con una frecuencia de 20 respiraciones/ min, un volumen corriente de 15 mL/kg, fracción inspirada (Fi) de O2 al 100%, se mantieneanestesiaconisofluoranoal2% durante todo el acto quirúrgico.

Se delimita el área quirúrgica con campos quirúrgicos estériles. El abordaje de la toracotomía izquierda se efectúa en el 4to. espacio intercostal, para lo que se diseccionan el músculo dorsal ancho, los serratos, el escaleno, los intercostales externos, los intercostales internos y la pleura parietal.

Actoseguido,seidentificaelmediastinocranealalcorazónysepreservaelnerviovago,elcualseretirahaciaventral,con suturatemporaldeseda.Unaveziniciada

Figura 4. Tracción del nervio vago hacia ventral y la disección del mediastino, se realiza un surco craneal y caudal al PCA.
Figura 6. Se observan las puntas de la pinza Mixter a punto de exponerse posterior a la disección del PCA.
Figura 5. Se aprecia el momento, en el cual, la pinza Mixter pasa por debajo del conducto arterioso.

Luna del Villar-Velasco J, et al. El cerdo como modelo quirúrgico en cirugía de tórax

AMMVEPE 2025; 36 (2): 49-56

la técnica, el animal registró taquicardia de 170-190 lpm, que se mantiene durante todo el procedimiento, por otra parte, la saturación de oxígeno oscilo entre 7080% (Figura 1). Enseguida, se procede a disecar el mediastino hasta observar el espacio entre la aorta (dorsal) y la arteria pulmonar (ventral).

Se identifica el conducto arterioso permeable, se emplea una pinza Mixter de 16 cm (Figura 2), este procedimiento requiere de un manejo preciso y delicado paraevitardañarlaarteriapulmonar,misma que se encuentra por abajo y atrás de laaortaenelsitioanatómicodelconducto arterioso12 (Figuras 3-7).

Finalmente,sehacepasardoshilosde sutura de seda calibre 2-0 alrededor del conducto arterioso, mismo que se liga en el extremo dorsal (cerca de la aorta) y en el extremo ventral (proximal a la arteria pulmonar) para ser cortado entre ambas ligaduras, se revisa la ausencia de hemorragia (Figuras 8-11). En los monitoresseidentificancambiosdePVC y PA, sin mayor relevancia, se procede al cierre de la cavidad.

Se inicia con la aproximación de las costillas con sutura de polipropileno de calibre 2 y colocación del drenaje pleural caudalalatoracotomía.Sesuturanlosplanosmuscularesdemaneraherméticapara recuperarlapresiónnegativa,ysehabilita el drenaje pleural al sello de agua. Finalmente, se sutura la piel con polipropileno calibre 2-0 y se observa el burbujeo en la cámaradelsellodeaguahastaqueelcerdo inicia el proceso respiratorio espontáneo, de manera normal.13-17

RESULTADOS

En el primer módulo se demuestra que el 79.81% de los estudiantes tenían conocimientosuficientesobreeltema.La fase del conocimiento del material arrojó la media más baja dentro de la muestra de estudiantes evaluados. En la tercera fase del mismo módulo se reporta una media superior. Llama la atención, que entre las calificaciones más bajas, se encuentra un estudiante incapaz de demostrar conocimientos y por consecuencia carencia de habilidades quirúrgicas. Como propuesta

Figura 7. Se observa la disección completa del PCA y las pinzas Mixter rodeándolo e integridad de la arteria pulmonar.
Figura 8. Ligaduras del conducto arterioso, se anuda primero el extremo dorsal, justo el punto en donde desciende de la aorta.
Figura 9. Segunda ligadura del conducto arterioso en el extremo ventral, por arriba de la arteria pulmonar.

futura se sugiere incrementar el número de individuos, a fin de contar con una muestraquepermitaestablecerdiferencia estadística.

Posterior a la clase teórico-práctica, se califica el segundo y tercer módulo de

del Villar-Velasco J, et al. El cerdo como modelo quirúrgico en cirugía de tórax

AMMVEPE 2025; 36 (2): 49-56

evaluación referentes a las habilidades quirúrgicas. En el segundo módulo se observa que el 80.46% de los estudiantes cuentaconbuenashabilidadesquirúrgicas. Lafaseenlaqueseobtienemayorporcentajeeslarelacionadaconlaantisepsiayla

Figura 11. Exposición del conducto arterioso ligado dorsal y ventral y seccionado. Se verifica la ausencia de sangrado y los cambios hemodinámicos posteriores a la maniobra quirúrgica.

Cuadro 7. Representacióngráficadelascalificacionesobtenidasporsieteestudiantesenlapráctica decirugíatorácicaenelmodelobiológico. Alumno

peorseobservaenlafasedeinicio,alrealizar la incisión, lo que implica dificultad paralocalizarelespaciointercostalexacto para abordar la patología. Por último, se considera la aproximación al conducto arterioso y la disección del nervio vago, así como las ligaduras manuales.

Lamediadelascalificacionessereporta, entre los individuos que aprobaron, en 92.23,condistribuciónnormaldeacuerdo alapruebadeShapiro-Wilk(p=0.46).La media de los reprobados es de 43/100, lo que precisa de la prueba t de Student para muestras independientes, se obtiene una diferencia estadísticamente significativa (p < 0.001). Se hace la evaluación de los módulos teóricos y prácticos por separado y se determina que la prueba teórica no muestra diferencias estadísticamente significativas por sí sola (p = 0.72). Asimismo,noseobservandiferenciassignificativasentrelostresmódulos (Cuadro 7).

DISCUSIÓN

La conjunción de la teoría sustentada, en libros como en artículos, aunada a la práctica con modelos biológicos motiva alosestudiantesadesarrollarhabilidades como la práctica de nudos;9 lo que se complementa de manera exitosa con el entrenamiento en modelos ex vivo;7 así como los modelos virtuales al emplear tejidos sintéticos.10,18 De esta manera, se entrenan para presentarse ante modelos biológicos, como el cerdo, es este caso; o bien en conejos. Esta gama de alternativas didácticas promueve en los estudiantesunmejordesempeño;aunque pocas de estas alternativas describen el modelo de instrucción y la evaluación. Asimismo,cabeseñalarqueesuntrabajo quedemuestralacontribuciónrespectoal bienestar animal, así como la reducción del empleo de animales en el entrenamiento quirúrgico, misma que es insustituible para la formación de profesional en la medicina y cirugía.

Elobjetivoesevaluaralosestudiantes conuncuestionarioquedescribelasfases delprocesodelconocimiento.Elprimero, se refiere al estudio comprendido en dos etapas; la primera, involucra un examen escrito y otro oral; aquellos individuos

Figura 10. Ligaduras con la técnica manual (palmas para arriba).

Luna del Villar-Velasco J, et al. El cerdo como modelo quirúrgico en cirugía de tórax

AMMVEPE 2025; 36 (2): 49-56

que aprueban ambos, se les permite participar en la segunda etapa, en la que se observan y evalúan las habilidades quirúrgicas en la cirugía de tórax aunado a la identificación del instrumental.8 Este estudioratifica,unadelasprincipalescarenciasdelosestudiantesqueserelaciona con la anatomía, ya que muestran titubeo e inseguridad para incidir en el espacio intercostal indicado.

En este trabajo, cada uno de los resultados globales, en apariencia similares entre todos los participantes, se divide en módulosyenfases.Alfinal,losresultados obtenidosenelprimermódulo,elteórico, permite observar que el 79.81% tienen los conocimientos adecuados sobre el tema; en el segundo módulo se obtuvo un promedio de 80.46% lo que implica que los participantes poseen las habilidades quirúrgicas adecuadas para realizar la aproximación quirúrgica al mediastino y disecar el conducto arterioso; el tercer módulo expresa que el 90.9% de los individuos logran ejecutar la ligadura manual y el corte del conducto arterioso de forma exitosa.

Como propuesta se procurará incrementar el número de individuos, a fin de contarconunamuestrarepresentativaque permita establecer una diferencia estadística de valor. Este estudio piloto aporta la aplicacióndelmodelodeevaluaciónenun modelobiológicodeprácticaquirúrgica,a maneradecerraruncicloconrespectoala adquisicióndeconocimientosquirúrgicos en pregrado.

CONCLUSIÓN

Se logra unir dos elementos académicos esenciales en la formación del médico veterinario en el área quirúrgica: un modelo biológico (cerdo) en la aproximación quirúrgica del PCA, y un sistema estructurado de evaluación real

y cuantitativa por fases, donde se evalúa el conocimiento teórico, el instrumental necesario,latécnicaylaprácticarealante la presencia de la patología de PCA. Es importante la inclusión de pruebas teóricas y prácticas dentro de la evaluación académica habitual. Se observa que esta prueba provee un análisis robusto de las habilidades del alumno en conocimientos en el área médico-quirúrgica.

AGRADECIMIENTOS

Se agradece la colaboración en el análisis estadístico del estudiante en MedicinaVeterinariayZootecniaDavidJosé Sánchez Molina.

REFERENCIAS

1. Carrasco-Rojas JA, García Cervantes B, Carrasco-Ruiz JA. Utilización de simuladores en la educación quirúrgica. Cir Gen 2013; 35(Supl. 1): s62-s65.

2. Molina-Martínez JL, Silveira-Prado EA, Heredia-Ruiz D, Fernández-Caraballo D, Bécquer-Mendoza L, Gómez-Hernández T, et al. Los simuladores y los modelos experimentales en el desarrollo de habilidades quirúrgicas en el proceso de enseñanzaaprendizaje de las ciencias de la salud. REDVET 2012; 13(6): 1-23.

3. Campos A. Entrenamiento con simuladores quirúrgicos.LaCavernadePlatón,losídolos de Bacon, la McDonaldización de la Medicina y la poca (auto) crítica. Cir Gen 2016; 38(1): 41-8.

4. Campos A. Entrenamiento con simuladores quirúrgicos. ¿Instrumentos cognitivos o metáforas táctiles? Cir Gen 2015; 37(3-4): 109-11.

5. Torres RA, Orban RD, Serra EE, Marecos MC, Vargas L, Deffis LI, et al. Enseñanza de técnicas quirúrgicas básicas en simuladores biológicos: experiencia pedagógica en el pregrado. Educ Méd 2003; 6(4): 149-52.

6. Dávila-Serapio F, Cabrera OA, VargasElizondo OG, Rivera-Cruz JM, SánchezGonzález DJ. Aprendizaje de habilidades básicasdecirugíalaparoscópicaenestudian-

tesdepregradodelaEscuelaMédicoMilitar. Rev Mex Cir Endoscop 2008; 9(1): 27-34.

7. Villalobos-Flores SA, Barajas-Colón JA, Tapia-Jurado J, Jiménez-Corona JL, ReyesArellano W, Montalvo-Javé EE. Modelo biológico no vivo para la enseñanza de la técnica de venodisección en alumnos de pregrado de la carrera de medicina. Cir Gen 2012; 34(4): 271-5.

8. Anaya-Prado R, Ortega-León LH, RamirezSolis ME, Vázquez-García JA, MedinaPortillo JB, Ayala-López EA. Evaluación de competencias quirúrgicas. Estudio piloto mexicano. Cir Cir 2012; 80(3): 261-9.

9. Rodríguez-Paz CA, Carreón-Bringas RM, OrtegaSalgadoJA..Cajóndecirugía,modelo didáctico en las técnicas de nudos y afrontamiento. Rev Med Hosp Gral Mex 1993; 56(1): 39-43.

10. Barrientos-Fortes T. Nuevas estrategias de enseñanza en cirugía general. Cir Gen 2012; 34(Supl. 1): S36-S37.

11. Rodríguez-Paz CA, Gámez-Huerta VH. Experiencia de 10 años de un curso extracurricular de cirugía en pregrado de medicina. Cir Gen 2023; 45 (1): 7-13. https://dx.doi. org/10.35366/110697

12. Bazurto MA, Durán M, Sáenz Morales OA. Consideraciones sobre fisiología pulmonar. Rev Colomb Neumol [Internet] 2004; 16(1): 75-7.

13. Kramek BA, Caywood DD. Pneumothorax. Vet Clin North Am Small Anim Pract 1987; 17(2): 285-300.

14. Smetana GW. Preoperative pulmonary evaluation. The New England Journal of Medicine 1999; 340(25): 937-44.

15. Luna del Villar VJ. Evaluación de los cambios hemodinámicos, gasométricos y morfológicos postrasplante pulmonar con dos soluciones de preservación en un modelo experimental. Tesis de maestría. México, D.F., 2003. UNAM, Dirección General de Bibliotecas.

16. Krowka MJ. Pulmonary hypertension: diagnostics and therapeutics. Mayo Clin Proc 2000; 75(6): 625-30.

17. Johnston SA, Tobias MK. Veterinary Surgery: Small Animal. In Johnston SA. TM.. Philadelphia: Philadelphia: W.B. Saunders Company; 2017.

18. Tapia-Jurado J. La enseñanza de la cirugía en el pregrado. Cir Gen 2011; 33(Supl. 1): S76-S77.

CASO CLÍNICO

AMMVEPE 2025; 36 (2): 57-61

AMMVEPE Vol. 36, No. 2 • Mayo-Agosto 2025 pp 57-61

Hernia hiatal en un perro, tratada únicamente con gastropexia: informe de un caso

Hiatal hernia treated in a dog solely with gastropey: a case report

Paulina María Carrillo-Solís,* Hortensia Corona-Monjarás,** Octavio Mejía-Ponce***

RESUMEN

Se presenta el caso de un perro doméstico, hembra esterilizada, raza única, de tres años de edad, con historia de presentar vómito crónico no responsivo a diversos tratamientos. La paciente no presenta anormalidad evidente en el examen físico general. Los estudios radiográficos, simples y con medio de contraste, no mostraron anormalidad aparente. Sin embargo, la endoscopía muestra, mediante la retroflexión del telescopio, la presencia de la mucosa esofágica dentro del estómago, lo que se consideró confirmativo de hernia hiatal, la cual se categoriza como tipo I. La gastropexia del antro pilórico resulta en un control completo del vómito. La hernia hiatal es la protrusión del esófago, la unión gastroesofágica o parte del fondo del estómago, hacia la parte caudal del mediastino, a través del hiato esofágico. Puede ser congénita o adquirida, permanente o dinámica; o, de acuerdo con su severidad, deslizante, paraesofágica, combinación de las dos anteriores y con herniación de órganos abdominales (correspondientes a tipos I, II, III y IV, respectivamente). Los signos dependen de la severidad pero comprenden regurgitación, vómitos o disnea. El diagnóstico se apoya principalmente en la fluoroscopía y la endoscopía. Los casos leves pueden tratarse únicamente con antiácidos y procinéticos. No obstante, la cirugía (frenoplastía, esofagopexia y gastropexia) a menudo es necesaria para un efectivo control de los signos.

Palabras clave. Hernia hiatal, vómito crónico, regurgitación, frenoplastía, esofagopexia.

CASO CLÍNICO

Se presenta en el Hospital Veterinario deEspecialidadesUNAMaunapaciente, perro doméstico, hembra esterilizada,

* Programa de Trabajo Profesional. FMVZ. UNAM.

** Responsable del Servicio de Cirugía de Tejidos Blandos. FMVZ. UNAM.

*** Responsable del Servicio de Dermatología. FMVZ. UNAM.

Correspondencia: MVZ Octavio Mejía-Ponce Tel.: 55 9170-6809.

Correo electrónico: ompvet@hotmail.com

ABSTRACT

We present the case of a sterilized, single-breed, three year-old female dog with a history of chronic vomiting unresponsive to various treatments. The patient did not present any obvious abnormality on general physical examination. Radiographic studies, both plain and with contrast medium, did not show any apparent abnormality. However, endoscopy showed, by retrofexion of the telescope, the presence of esophageal mucosa within the stomach, which was considered confirmatory of hiatal hernia, which was categorized as type I. Gastropexy of the pyloric antrum resulted in completecontrol of vomiting.

Hiatal hernia is the protrusion of the esophagus, the gastroesophageal junction or part of the fundus of the stomach into the caudal part of the mediastinum through the esophageal hiatus. It may be congenital or acquired permanent or dynamic or, depending of its severity, sliding, paraesophageal, a combination of the above and with the herniation of abdominal organs (corresponding to types I, II, III and IV, respectively). Signs depend on severity but include regurgitation, vomiting or dyspnea. Diagnosis is based primarily on fluoroscopy and endoscopy. Mild cases can be treated with antacids and prokinetics alone. However, surgery (frenoplasty, esophagopexy and gastropexy) is often necessary for effective control of signs.

Key words. Hiatal hernia, chronic vomiting, regurgitation, frenoplasty, esophagopexy.

raza única, de tres años de edad. Su alimentación es en alimento comercial seco y húmedo. En la anamnesis, los tutores comentanquelapacientepresentavómitos biliosos –a veces con restos de alimento–desde hacía dos meses de edad. Hasta ese momento, había recibido tratamiento con dimeticona, omeprazol, metronidazol y cisaprida, sin que el vómito disminuyera defrecuencia.Unestudioexternodeultrasonidoabdominalnollegaaundiagnóstico concreto. Se reporta que la frecuencia del vómito fluctúa de una a varias veces a la semana.

Alrealizarexamenfísicogeneral,noes evidenteningunaanormalidad.Portalmo-

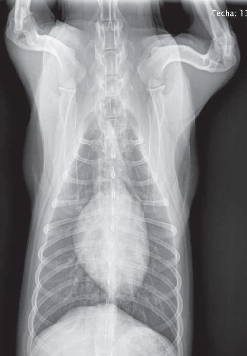
tivo, en un intento de diferenciar vómito de regurgitación, se realiza estudio radiográficosimple(sincambiosradiográficos aparentes) (Figuras 1 y 2) yconmediode contraste (sulfato de bario) (Figura 3); se encuentra un tránsito normal del esófago y del estómago.

El siguiente paso consiste en llevar a cabo una endoscopía, con la finalidad de observar la mucosa gástrica y realizar biopsias de dicha superficie. Previo al estudio, se administra tratamiento con omeprazol(1mg/kg,víaoral,c/12horas), cisaprida(0.24mg/kg,víaoral,c/12horas) y lactobacilos (Enterococcus faecium), una vez al día.

La endoscopía se realiza un mes después. En dicho estudio, se identificaron las siguientes alteraciones:

• Esfínter esofágico craneal sin cambios. Esófago con abundante reflujo biliar y dilatación en formación; esfínter esofágico abierto. Abertura anormal del esfínter gastroesofágico, de 5 a 6 cm, aproximadamente.

• Estómago con gastritis eritematosa severa generalizada. Píloro excéntrico y abierto, con hipertrofia de la mucosa peri-pilórica y abundante reflujo biliar.

• Duodenitissevera.Enlaretroflexión, esfínterabierto; seobservaelesófago desde el interior del estómago.

Se tomaron biopsias para histopatología de distintas partes de la mucosa del estómago y del duodeno. Los resultados mostraron gastritis linfoplasmocítica, leve, focal y enteritis linfoplasmocítica, moderada, difusa.

A pesar de haber iniciado tratamiento conprednisonaymetronidazol,lapaciente continua presentando los vómitos. Los

Ld.

observa

Figura 1. Estudio radiográfico simple, Li- Ld, en la que o se aprecian cambios aparentes.
Figura 2. Estudio radiográfico simple, VD, sin cambios aparentes.
Figura 3. Estudio radiográfico con medio de contraste positivo (sulfato de bario), Li-
Se
que el medio de contraste pasó en su totalidad al estómago.

tutores suspendieron la administración de ambos fármacos, debido a que el vómito empeora tras su administración. Por tal motivo, se plantea la posibilidad de

recurrir a la opción quirúrgica. Se tomaron muestras de sangre para realización de hemograma y bioquímica sanguínea, así como de orina para estudio general.

Hernia hiatal tratada con gastropexia AMMVEPE 2025; 36 (2): 57-61

Los valores obtenidos en el hemograma, son normales; la bioquímica sanguínea, muestra aumento de la creatina-cinasa (CK) (1551 U/L; referencia: < 213 U/L), aspartato amino tranfersasa (AST) (84 U/L; referencia: < 54 U/ L) y amilasa (1330U/L;referencia:<1110U/L).Todas las elevaciones anotadas pudieron tener su origen en un aumento del catabolismo muscular. El estudio general de orina muestra cristales de oxalato de calcio dihidratado.

Durantelacirugía,sellegóalaconclusión de que, al ser una hernia pequeña, no serealizaríafrenoplastíaniesofagopexia; solamenteserealizalagastropexia (Figuras 4 y 5) por la zona del antro pilórico, mediante un corte de 4 a 5 cm tanto en las capas serosa y muscular del antro, como en la pared abdominal. Se suturan los bordes de ambas heridas con puntos separados de material absorbible.

Después de la cirugía, se mantiene hospitalizadaalapaciente,canalizadacon catétercalibre22GconsoluciónHartmann (con terapia de mantenimiento), omeprazol (1 mg/kg, intravenoso, c/24 horas), cefalotina (30 mg/kg, intravenosa, c/12 horas), buprenorfina (0.01 mg/kg, intravenosa, c/8 horas), meloxicam (0.2 mg/ kg,intravenoso,c/24horas),cisaprida(0.5 mg/kg,víaoral,c/24horas)yconinfusión de lidocaína (40 mcg/kg/min).

Al día siguiente se da de alta a la paciente, con la indicación de administrar cefalexina (26mg/kg,víaoral,c/12horas) por 8 días, meloxicam (0.1 mg/kg, vía oral, c/24 horas) por 3 días, pantoprazol (1mg/kg,víaoral,c/24horas)por10días ycisaprida(0.5mg/kg,víaoral,c/8horas) por 10 días.

Alos siete días del alta hospitalaria, la paciente acude a su primera revisión. Los tutores refirieron que sigue presentando “náuseas”enlasmañanasyenlasnoches; únicamente hubo un vómito después de comer. La herida se encontró limpia y seca, con bordes adosados y material de suturacumpliendosufunción.Secontinuó con el mismo tratamiento.

5. Se observa terminada la gastropexia.

Aloscincodíasdesuprimerarevisión, volvióaacudiralhospital.Enesaocasión ya no se reportó vómito; se retiraron los puntos de sutura y se dio el alta médica.

Figura 4. Se observa la sutura de las incisiones del estómago y la pared abdominal.
Figura

AMMVEPE 2025; 36 (2): 57-61

DISCUSIÓN

La hernia hiatal es la protrusión ya sea del esófago, la unión gastroesofágica o parte del fondo del estómago, hacia la parte caudal del mediastino, a través del hiato esofágico.1,2,3 Puede ser congénita o adquirida(lascongénitasseidentificangeneralmenteantesdelañodeedad),obien, permanente o dinámica (dependiendo de los cambios en la posición y de la presión intratorácica).1,3-5 Deacuerdoconlaseveridad del tejido herniado, se clasifica en cuatro tipos:

• Tipo 1 o deslizante: Es el movimiento intermitente de la unión gastroesofágicahacialacavidadtorácica. Suele diagnosticarse en animales con menos de un año de vida cuando es congénita.1,4

• Tipo 2 o paraesofágica: Cuando una parte del estómago, comúnmente el fondo, se desplaza hacia tórax caudal a través del hiato esofágico. La unión gastroesofágica permanece en su posición normal.4,5

• Tipo 3: Es una combinación de una hernia tipo 1 con una hernia tipo 2.4

• Tipo 4: Hay herniación de órganos abdominales(hígado,estómago,intestinodelgado);incluso,intususcepción gastroesofágica.2,4

De acuerdo con la clasificación anterior, es muy probable que la paciente presentara una hernia de tipo I, ya que solamentesevisualizómucosadelesófago desdeelestómago,durantelaendoscopía. Además, los signos no fueron particularmente severos, siendo el principal el vómito no responsivo a la terapia. No fue posible determinar si la hernia fue congénita o adquirida. El defecto congénito suele diagnosticarse antes del año de edad. No obstante, la paciente ya tenía 3 años cuando se llevó a cabo la endoscopía. La forma adquirida podría sermásfrecuenteenelelbulldogfrancés, deacuerdoconalgunosestudios,mientras que la presentación congénita lo es en el shar pei.2,5,6,7

La hernia hiatal congénita ocurre debido a una anomalía del desarrollo al momento de formarse el hiato esofágico,

o del ligamento frenoesofágico en el que se forma un hiato amplio y anormal, debido al cierre anormal del diafragma en la vida fetal.2,5

La hernia hiatal adquirida suele ser secundaria a diversos factores, como reparación diafragmática por lesión en el sitiodelhiato,cambiosenlaactividaddel nervio vago debido a lesión quirúrgica, traumatismo, o enfermedad esofágica o afección del tracto respiratorio superior.1,2,5 En ese sentido, los braquicéfalos con severa dificultad ventilatoria pueden tener mayor riesgo de desarrollarla por el aumento en la presión intratorácica que ocasionaelesfuerzorespiratorio.Además del bulldog francés, también se consideran proclives el shar pei, el bulldog inglés y el chow chow. También puede ocurrir hernia hiatal por trastornos de la función neuromuscular.1,6,8,9

Lossignossondetipogastrointestinal, debido al reflujo de jugo gástrico o a la inflamación del estómago; su severidad depende principalmente de la intensidad de la hernia. Principalmente consisten en regurgitación y vómito crónicos, ptialismo y, en casos severos, hematemesis. No obstante, en la herniación para- esofágica tipo 3 o en la hernia tipo 4, puede haber signosrespiratorioscomodisneaoincluso compromiso cardiaco. El paciente puede perder peso y, si el vómito o la regurgitación son severos, se puede desarrollar neumonía por aspiración.1

Como se mencionó, en el caso de los braquicéfalos que presenten serios problemas obstructivos, la semiología puede ser mássevera,yaqueelesfuerzopararespirar conlleva el riesgo de exacerbar la hernia.8

En la paciente del presente caso, los signos correspondieron con el grado de herniación –recordar que se consideró gradoI–,aunquenofueposibledeterminar si fue congénita o adquirida. Esto puede ser muy difícil de determinar en muchos casos.

El diagnóstico se basa principalmente en los hallazgos proporcionados por estudios de imagen –radiografía y fluoroscopía- y por la endoscopía (sin dejar de lado la historia clínica y la semiología).1

En las radiografías simples es factible observar una estructura con densidad de

tejidoblando,llenadegas,cercadelhiato esofágico. Los cambios anatómicos no son, generalmente, visibles. El medio de contrastepositivo(sulfatodebario)puede permitir el diagnóstico de megaesófago o hipomotilidad esofágica, los cuales podrían ser compatibles con hernia hiatal. Identificar neumonía por aspiración sería otra utilidad del estudio radiográfico.2,9,10

Por su parte, la fluoroscopía permite visualizar mejor el tránsito y la motilidad esofágica; incluso, es posible observar retención del medio de contraste en la porción esofágica craneal lo cual es sugerente de hernia hiatal. La compresión abdominal puede facilitar la exposición de la hernia.2,4,9

Con la endoscopía (esofagoscopia) es posibleobservarlacondicióndelamucosa gástrica. A veces es posible observar la presencia de la hernia, principalmente cuando se aprecia parte de la mucosa esofágica dentro de la cavidad gástrica. Es posible forzar dicha imagen al hacer compresión abdominal. Es posible que la presencia de la sonda endotraqueal haga menosevidentelahernia,porloqueesnecesario recurrir a maniobras como la compresión abdominal o la oclusión del tubo endotraqueal para lograr observarla.3,4,9,10

Laendoscopíatambiénpermitevisualizar cambios en la mucosa esofágica caudal debido al reflujo gastroesofágico.3,10

En el presente caso, no se identifica ninguna anormalidad con las radiografías simples y con medio de contraste. La endoscopía permite observar el estado de la mucosa del esófago y del estómago, así como la mucosa esofágica dentro del estómago cuando se realiza retroflexión del telescopio, lo que se considera confirmativo del diagnóstico.

Se ha encontrado que la mucosa gástrica y la duodenal pueden sufrir cambios inflamatorios importantes, principalmente inflamacióncrónicaporinfiltradolinfoplasmocítico, tal como ocurrió en la paciente.6

En general, se acepta que los casos leves se pueden tratar únicamente con medicamentosprincipalmenteinhibidores de la bomba de protones, procinéticos y en algunas ocasiones con sucralfato.1,4,5,9 Aquellos casos con signos clínicos recidivantesrequierentratamientoquirúrgico.

La técnica quirúrgica recomendada comprende, en realidad, tres procedimientos: frenoplastía, esofagopexia y gastropexia incisional.4,11

Se comenta ya con anterioridad que, en la paciente, se considera suficiente realizar una gastropexia incisional, por ser muy pequeño el defecto hiatal, lo que brindamejoríasignificativadelossignosa cortoplazo.12 Lasmismastécnicaspueden realizarsetambiénmediantelaparoscopía, conunaresoluciónypronósticosimilares al realizado mediante celiotomía.13,14,15

CONCLUSIONES

La hernia hiatal es la protrusión del esófago, la unión gastroesofágica o parte delfondodelestómago,hacialapartecaudal del mediastino. Puede ser congénita o adquirida,dinámicaopermanente,obien, de acuerdo a su grado de severidad, deslizante,para-esofágica,combinacióndelas dos anteriores o involucrar otros órganos abdominales. Los signos dependerán del grado de severidad, pero comprenden regurgitación, vómitos o incluso signos respiratorios.

El diagnóstico se confirma mediante estudios de imagen, principalmente la fluoroscopía, además de la endoscopía.

El tratamiento puede ser médico en casos leves, o quirúrgico si no se observa mejoría en los signos clínicos. Aquel comprende, preferentemente, tres procedimientos -frenoplastía, esofagopexia y gastropexia incisional- para disminuir todo lo posible la reincidencia.

REFERENCIAS

1. Monnet E, editor. Small animal soft tissue surgery. 2nd ed. Hoboken, NJ, Estados Unidos deAmérica: Wiley-Blackwell; 2023.

2. ReeveEJ,SuttonD,FriendEJ,Warren-Smith CMR.Documentingtheprevalenceofhiatal herniaandoesophagealabnormalitiesinbrachycephalicdogsusingfluoroscopy. J Small Anim Pract [Internet] 2017; 58 (12): 703-8. Disponible en: http://dx.doi.org/10.1111/ jsap.12734

3. Broux O, Clercx C, Etienne A-L, Busoni V, Claeys S, Hamaide A, et al. Effects of manipulations to detect sliding hiatal hernia in dogs with brachycephalic airway obstructive syndrome. Vet Surg [Internet] 2018; 47(2): 243-51. Disponible en: http://dx.doi. org/10.1111/vsu.12735

4. FossumTW.Smallanimalsurgerytextbook. 3a ed. Londres, Inglaterra: Mosby; 2013.

5. Katsianou H, Svoronou M, Papazoglou LG. Currentviewsregardinghiatalherniaindogs and cats. Hellenic Journal Of Companion Animal Medicine. [Internet] 2014; 3(2): 22-39. Disponible en: https://hjcam.hcavs. gr/images/vol3iss2/izs_vol3_issue2_hiatalhernia.pdf

6. Poncet CM, Dupre GP, Freiche VG, Bouvy BM. Long-term results of upper respiratory syndrome surgery and gastrointestinal tract medical treatment in 51 brachycephalic dogs. J Small Anim Pract [Internet] 2006; 47(3): 137-42. Disponible en: http://dx.doi. org/10.1111/j.1748-5827.2006.00057.x

7. Mayhew PD, Marks SL, Pollard R, Culp WTN, Kass PH. Prospective evaluation of surgical management of sliding hiatal hernia and gastroesophageal reflux in dogs. Vet Surg [Internet] 2017; 46(8): 1098-109. Disponible en: http://dx.doi.org/10.1111/ vsu.12684

8. Luciani E, Reinero C, Grobman M. Evaluation of aerodigestive disease and diagnosis of sliding hiatal hernia in brachycephalic

(2): 57-61

and nonbrachycephalic dogs. J Vet Intern Med [Internet] 2022; 36(4): 1229-36. Disponible en: http://dx.doi.org/10.1111/ jvim.16485

9. Marcus C. Aerodigestive disorders in dogs [Internet] Veterinary Practice 2023 [cited 2024 Oct 11]. Disponible en: https://www. veterinary-practice.com/article/aerodigestive-disorders

10. Washabau RJ, Day MJ. Canine and Feline Gastroenterology. Saunders; 2012

11. PrymakC,SaundersHM,WashabauRJ.Hiatal hernia repair by restoration and stabilizationofnormalanatomy.Anevaluationinfour dogs and one cat. Vet Surg [Internet] 1989; 18(5): 386-91. Disponible en: http://dx.doi. org/10.1111/j.1532-950x.1989.tb01106.x

12. PratschkeKM,BellengerCR,McAllisterH, Campion D. Barrier pressure at the gastroesophagealjunctioninanesthetizeddogs.Am J Vet Res [Internet] 2001; 62(7): 1068-72. Disponible en: http://dx.doi.org/10.2460/ ajvr.2001.62.1068

13. Monnet E. Laparoscopic correction of sliding hiatal hernia in eight dogs: Description of technique, complications, and shortterm outcome. Vet Surg [Internet] 2021; 50(1): 230-7. Disponible en: http://dx.doi. org/10.1111/vsu.13541

14. Mayhew PD, Balsa IM, Marks SL, Pollard RE, Case JB, Culp WTN, et al. Clinical and videofluoroscopic outcomes of laparoscopic treatment for sliding hiatal hernia and associated gastroesophageal reflux in brachycephalic dogs. Vet Surg [Internet] 2021; 50(S1):O67-77.Disponibleen:http://dx.doi. org/10.1111/vsu.13622

15. Singh A, Hawker W, Mitchell K, Appleby R, Bersenas A, Collier A. Laparoscopic surgical treatment for sliding hiatal hernia is associated with an owner-perceived improvementinclinicaloutcomeindogs. J Am Vet Med Assoc [Internet] 2024; 262(1): 1-6. Disponible en: http://dx.doi.org/10.2460/ javma.23.08.0479

Uso del DTI como herramienta de diagnóstico en enfermedades del sistema nervioso central en perros

CASO CLÍNICO

AMMVEPE Vol. 36, No. 2 • Mayo-Agosto 2025 pp 62-67

Uso del tensor de difusión como una herramienta de diagnóstico en las enfermedades del sistema nervioso central en perros.

Reporte de un caso en un husky siberiano con alteraciones del comportamiento

Use of the diffusion tensor as a diagnostic tool in diseases of the central nervous system in dogs.

Report of a case in a Siberian husky with behavioral alterations

José Alberto Toscano-Zapién,* Patricia Rizo-Espinoza,† Ismael Hernández-Avalos,‡

Liliana Blancas-Espinoza,§ Erick Humberto Pasaye-Alcaraz,||

Edna Elisa García-Vences,¶ Raúl Silva-García**

RESUMEN

La tractografía o tensor de difusión (DTI) es una técnica avanzada de resonancia magnética que permite mapear las vías de sustancia blanca en el cerebro mediante el análisis de la difusión del agua en los tejidos. Su utilidad incluye planificar cirugías, diagnosticar enfermedades neurodegenerativas y estudiar las conexiones neuronales, tanto en humanos como en perros. El presente estudio presenta un caso clínico en un perro hembra de raza Husky, en el que se muestra un estudio de DTI para descartar alteraciones en la sustancia blanca asociadas a episodios de alteraciones del comportamiento. Las imágenes mostraron tractos nerviosos normales y se recomendó un EEG para explorar posibles focos epilépticos. La paciente no presentó alteraciones neurológicas después del estudio de imagen. La descripción de este reporte de caso ilustra el potencial de la tractografía para extender su aplicación a la investigación y clínica veterinaria, particularmente en condiciones complejas donde los métodos de imagen tradicionales pueden ser insuficientes. La creación de atlas DTI específicos para caninos podría impulsar investigaciones futuras, permitiendo comparaciones más precisas entre especies y una comprensión más profunda de las bases neurales de las patologías.

Palabras clave. Tractografía, resonancia magnética, sustancia blanca, cirugía, focos epilépticos.

ABSTRACT

Diffusion tensor imaging (DTI) is an advanced magnetic resonance imaging technique that maps brain white matter pathways by analyzing the diffusion of tissue water. Its usefulness includes planning surgeries, diagnosing neurodegenerative diseases, and studying neuronal connections in both humans and dogs. This study presents a clinical case of a female Husky dog in which a DTI study was performed to rule out white matter abnormalities associated with episodes of behavioral disturbances. The images revealed normal nerve tracts, and an EEG was recommended to explore possible epileptic foci. The patient did not exhibit neurological alterations after the imaging study. The description of this case report illustrates the potential for tractography to extend its application to veterinary research and clinical practice, particularly in complex conditions where traditional imaging methods may be insufficient. The creation of dog-specific DTI atlases could enhance future research by allowing for more precise comparisons between species and a deeper understanding of the neural basis of pathologies.

Key words. Tractography, magnetic resonance, white matter, surgery, epileptic foci.

* MVZ, UNAM. Estudiante de Maestría en Ciencias Médicas. Especialista en Investigación en Ciencias de la Salud, Universidad Anáhuac Norte.

† MVZ, ECMPG. Maestría en Medicina Veterinaria y Zootecnia. Patóloga clínica en laboratorio (ANLAVE), Toluca Edo. Mex.

‡ Doctor en Ciencias, Profesor Asociado B. Farmacología Clínica y Anestesia Veterinaria. Departamento de Ciencias Biológicas. FESC, UNAM.

§ Bióloga, UNAM. Unidad de Investigación del Hospital de Pediatría Siglo XXI. IMSS.

|| Laboratorio Nacional en Imagen por Resonancia Magnética. Instituto de Neurobiología UNAM. Campus Juriquilla, Querétaro.

¶ Doctora en Ciencias, Investigadora Académica por la Universidad Anáhuac Campus Norte. Miembro del sistema nacional de Investigadores de México.

** Investigador Asociado D, Línea de investigación. Efectos de péptidos en procesos inflamatorios, cicatrización, neuroprotección y genómica funcional en lesión traumática de médula espinal. Hospital de Pediatría Centro Médico Siglo XXI. IMSS.

Correspondencia: MVZ José Alberto Toscano-Zapién. Correo electrónico: Tchaik_osky@yahoo.com.mx

como herramienta de

INTRODUCCIÓN

La tractografía o tensor de difusión (DTI) es una técnica de imagen avanzada derivadadelaresonanciamagnética(RM) que se utiliza para visualizar y mapear las vías de la sustancia blanca en el cerebro. Esta herramienta diagnóstica surgió a mediadosdeladécadade1980,utilizando imágenes ponderadas por difusión (DWI, por sus siglas en inglés) y, más específicamente, una técnica llamada imagen por tensor de difusión (DTI, por sus siglas en inglés) para rastrear el movimiento de las moléculasdeaguaalolargodelosaxones y las fibras nerviosas que conectan diferentes regiones del cerebro.1

La tractografía es crucial para planificar cirugías cerebrales, permite a los neurocirujanos evitar áreas críticas de sustancia blanca, reduce así el riesgo de daño neurológico postoperatorio. En neurocirugía, ayuda a delinear la relación entre los tumores cerebrales y las vías de sustancia blanca circundantes, lo cual es esencialparareseccionesquirúrgicasprecisas.Tambiénpermitevisualizareldañoa lasvíasdesustanciablanca,facilitandoel diagnósticoyseguimientodelaprogresión delaenfermedad.Encondicionescomola enfermedaddeAlzheimerylaenfermedad de Parkinson, la tractografía puede mostrarladegeneracióndelasvíasnerviosas.2

Es utilizada para mapear el conectoma humano, es decir, el conjunto de conexiones neuronales en el cerebro, pues proporciona una visión detallada de la estructura de las redes neuronales, lo que ayuda a estudiar cómo se desarrollan y cambian las conexiones neuronales a lo largodeldesarrolloinfantilyenrespuesta a diversas condiciones. En casos de traumatismocraneoencefálico,latractografía puede identificar lesiones en las vías de sustancia blanca que no son visibles en otras modalidades de imagen, de modo que proporciona información valiosa sobre el pronóstico del paciente, lo cual puede guiar estrategias de rehabilitación. En el ámbito de la investigación se utiliza en el diagnóstico de trastornos como la esquizofrenia, el trastorno bipolar y la depresiónmayor,enlasquehafavorecido el entendimiento de las anomalías en las

en enfermedades del sistema nervioso central en perros

AMMVEPE 2025; 36 (2): 62-67

conexionescerebralesasociadasconestos trastornos.3

Un ejemplo concreto de uso de la tractografía es la resección de un glioma, un tipodetumorcerebral.Antesdelacirugía, serealizaunatractografíaparamapearlas vías críticas de sustancia blanca, como el fascículo arcuato, que es crucial para el lenguaje. Esto permite al neurocirujano planificar la cirugía de manera que minimice el riesgo de daños a estas vías, preservando así las funciones cognitivas y motoras del paciente.4

La DTI es una técnica de resonancia magnética que evalúa la difusión anisotrópica de las moléculas de agua en los tejidos, así proporciona información estructuralvaliosasobrelamateriablancay la orientación de los tractos neurales. Los investigadores han empleado la DTI para estudiar cerebros humanos y de monos, y más recientemente, cerebros de roedores, siendolosratoneselmodeloprincipal.Sin embargo, han sido pocos los estudios que aplicanestepoderosométodoalosperros, apesardelcrecienteusodeestosanimales en la investigación.4,5

Los perros son un modelo atractivo en investigación neurobiológica para estudiar cambios conductuales y evolutivos, entre ellos, los relacionados a la cognición social, destacando las interacciones existentes entre perros y humanos. Estas habilidades se pueden observar en diversas tareas que miden el desempeño de los perros en respuesta a señales humanas, como la manipulación del habla, la presencia de gestos comunicativos y la resolución de problemas. Por ejemplo, en la tarea de elección de objetos,losperrosdebenseguirlamirada o el gesto de una persona para encontrar un objeto oculto. En este caso, los perros no solo muestran atención conjunta con los humanos y responden a sus señales y gestos, sino que lo hacen mejor que los primates no humanos, lo quelos convierte en un excelente modelo para estudiar la cognición social humana.6

Desde una perspectiva evolutiva, desentrañarestasposibilidadesfilogenéticasy ontogenéticas se puede lograr al comparar mecanismosneuronalesconductuales,anatómicos y funcionales dentro y entre espe-

cies para comprender su origen evolutivo. Por tanto, la imagen DTI es una técnica importanteparaexplorarlasbasesneuronales de la evolución de la función cognitiva y sus correspondencias anatómicas.6

Aunque la creación de un atlas de DTI para el cerebro del perro es un logro significativo, hay que tener en cuenta ciertas advertenciasalcomparardirectamentelos valores deAnisotropía Fraccionaria (FA) entre perros y humanos: ya que el tamaño del cerebro de los perros es menor que el de los humanos, pero la resolución espacialdelosdatosdedifusiónadquiridosno es proporcionalmente mayor en perros; por lo que es probable que la ubicación exactadelasregionesdeinterésenhumanos sea más precisa que en perros, dado quelosatlasetiquetadosestándisponibles para humanos; y la anatomía de los cerebros de perros y humanos, especialmente la corteza frontal, puede no ser completamente comparable.6

La técnica DTI ofrece una representación tridimensional de imágenes que muestra los datos en un mapa en color basado en la dirección del movimiento de las moléculas de agua a lo largo de los principalestractosdefibrasdelasustancia blanca cerebral. En la DTI, los colores asignadosalostractosdefibrasnerviosas indican la dirección del desplazamiento del agua. Los colores reflejan la orientación predominante de las fibras en un sistemadecoordenadastridimensional(x, y, z): donde el rojo indica una dirección derecha-izquierda, el verde indica una direccióndorsoventralyelazulindicauna dirección rostrocaudal. Esta representación se conoce como mapa anisotrópico.5 Para su estudio, los tractos de Materia Blanca (WM) tradicionalmente se han clasificado de la siguiente manera: fibras deasociación,fibrasdeproyección,fibras comisurales, otros tractos como el tracto óptico,fórnix, tapetum ymuchasfibrasdel tronco del encéfalo y el cerebelo.7

Fundamentos físicos para la obtención del DTI (imagen de tensor de difusión)

Las grandes áreas de materia blanca están compuestas por numerosos axones

AMMVEPE 2025; 36 (2): 62-67

organizadosenparalelo,enelqueladifusión del agua generalmente puede explicarse mediante el movimiento molecular aleatorio (movimiento browniano), sin embargo, este movimiento está limitado por las membranas axonales densamente empaquetadas y las vainas de mielina. Por otro lado, los tractos de fibras de materia blanca, las membranas axonales y las vainas de mielina actúan como barreras al movimiento de las moléculas de agua en direcciones no paralelas a su orientación. Así, el movimiento del agua perpendicular a los tractos de fibras de materia blanca está restringido, mientras que el movimiento paralelo no lo está.Al utilizar gradientes fuertes, la resonancia magnética (MRI) puede visualizar el movimiento de las moléculas de agua. Noobstante,paraestasmoléculasdeagua estáticas (unidas), estos gradientes no afectanlaseñalmedida,mientrasque,para las moléculas en movimiento, se induce una pérdida de señal.4

Lasensibilidadalmovimientoserepresentamedianteel“factorb”,quedepende de la fuerza, la duración y el intervalo de tiempoentrelosgradientes.Sehademostradoqueladireccióndemáximadifusión coincide con la orientación del tracto de fibrademateriablanca.Ladifusiónmedia serepresentaporelcoeficientededifusión aparente (ADC) para la difusión isotrópica, pero para la difusión anisotrópica, un solo valor de ADC no es suficiente, y es necesario usar el DTI, un modelo matemáticodedifusiónenelespaciotridimensional. En este contexto, el tensor es una matriz de números derivados de mediciones de difusión en varias direcciones, que permite estimar la difusión en cualquier dirección o determinar la dirección de máximadifusión.ConelusodeDTI,tanto el grado de anisotropía como la dirección local de la fibra se pueden mapear vóxel por vóxel, lo que ofrece una oportunidad única para estudiar la arquitectura de la materia blanca in vivo 4

Las imágenes de todo el cerebro se adquieren con gradientes de difusión aplicados en varias direcciones (al menos seis); además también se adquiere una imagen de referencia sin gradientes. Usar más de seis direcciones de codificación

mejora la precisión de la medición del tensor para cualquier orientación. La información de todas las imágenes se combina para evaluar el perfil tridimensional de la difusión en cada vóxel. Esta informaciónserepresentaenuntensorque se somete a un procedimiento algébrico lineal (diagonalización), mismo que produce un conjunto de tres vectores propios que representan los ejes principales del elipsoidededifusiónysusvalorespropios correspondientes (lambda 1, lambda 2, lambda3).Estosvalorespropiosrepresentanladifusiónenladireccióndesuvector propio correspondiente. Finalmente, la fracción del tensor que puede asignarse a una difusión anisotrópica específica se representa en laAnisotropía Fraccionaria (FA) en un mapa, a menudo codificado por colores. El color indica la dirección principal de difusión, y se supone que el vector propio principal es colineal con la orientación dominante de la fibra dentro del vóxel.4

REPORTE DE CASO CLÍNICO

• Reseña.Nombre“ELECTRA”,canino, hembra, husky siberiano, color negro y blanco, edad 4 meses, peso 15 kg.

• Anamnesis.Pacienteesllevadaaconsulta porque los tutores comentan que lapacientemuestracrisisdeausencia, lo cual describen como que aparenta estar petrificada. Esta descripción es recurrente, ya que son varios eventos que se han presentado en un lapso de 60 días. A pesar de ello, los tutores comentan que come, orina y defeca de manera normal. En el resto de su historiaclínica,losesquemasdevacunaciónydesparasitaciónseencuentran vigentes. Se realizaron estudios de laboratorio, tales como hemograma, bioquímicayurianálisis,sinpresentar ninguna alteración de ellos.

• Examen clínico neurológico. En el examen neurológico no se encontró alteraciónrelacionadaconlaposturay coordinacióndelacabeza,conrespecto a la marcha la paciente no presenta alteración, ni nistagmos y tampoco estrabismo posicional ventral de los globos oculares, sin antecedentes de

crisis epilépticas (aunque se comentó que esos episodios de ausencia del estadodeconcienciaalteradospodrían ser un evento convulsivo parcial).

• Diagnósticos diferenciales. Hipoplasia del hipocampo, hidrocefalia, agenesiadelcuerpocalloso,alteración estructuraldeltallocerebral,epilepsia congénita o epilepsia estructural.

Hallazgos en MRI

Se revisan múltiples en secuencias y planos de imagen con potenciación T1 antesydespuésdelcontraste,potenciación T2 y secuencias FLAIR y GE, se reporta lo siguiente:

• Encéfalo. La diferenciación entre la materia gris y blanca es normal, no se observan efectos de masa ni cambios en la señal normal de los tejidos observados. Los núcleos basales son normales. No se aprecia evidencia de edemaensecuenciasFLAIR.Elsistema ventricular es normal (Figura 1). El tálamo, el puente y el tallo cerebral seobservanconapariencianormal.La glándulapituitariatienecaracterísticas normales. El cerebelo y la fosa caudal son de tamaño y conformación normal. La relación entre ellos se mantiene normal.Noseapreciananormalidadesen el hueso occipital.

• Estructuras extra-craneales. Las estructuras óseas y los tejidos blandos que rodean el cráneo son normales. No hay evidencia de linfadenopatía regional. En las bullas timpánicas y los canales auditivos externos no se observan alteraciones. La unión cráneo-cervical es normal. Losdiscosintervertebralesvisiblesson normales.

Imágenes con tensor de difusión (DTI)

Posterior a la MRI, se realizan imágenes con tensor de difusión (DTI) del cerebro, en los que se pueden mostrar los tractosdemateriablanca.Estaherramienta diagnóstica se utiliza en este paciente

Toscano-Zapién JA, et al. Uso del DTI como herramienta de diagnóstico en enfermedades del sistema nervioso central en perros AMMVEPE 2025; 36 (2): 62-67

para descartar alteraciones o patologías que involucren la sustancia blanca. El objetivo de realizar la técnica de DTI en el paciente es descartar una alteración de la sustancia blanca no visible en la MRI convencional.Ellugardondeserealizael estudiodeDTIeslaunidadderesonancia magnética del Instituto de Neurobiología

de la Universidad NacionalAutónoma de México (UNAM).

Las reconstrucciones del DTI más importantes para este reporte de caso fueron, las fibras que interconectan áreas corticales con núcleos profundos, el tronco encefálico, el cerebelo y la médula espinal (Figura 2). Se toma de referencia

B

a Jacqmot, et al., 4 la información cuantitativa de la DTI ofrece un valor agregado a las secuencias morfológicas de MRI en enfermedadescomolaesclerosismúltiple, mientrasque,paralaepilepsia,unamayor difusiónyunaanisotropíareducidaenlos hipocampos escleróticos pueden sugerir la pérdida de la organización estructural

1. Cortes transversales en secuencia T2. A-B Denótese la simetría de los ventrículos laterales sin alteración. Se muestran los ventrículos cerebrales y el líquido cerebro espinal (LCR), sin dilatación de los mismos en esta secuencia los líquidos se observan en color blanco denominado hiperinteso, la corteza cerebral se puede apreciar sin alteraciones.

2. Tracto corticoespinal en vista lateral. A. Tracto corticoespinal en vista sagital. B. Se muestran la reconstrucción de las proyecciones nerviosas que van desde la zona del tronco encefálico a diferentes zonas de la corteza cerebral en ambos sentidos de diferentes hemisferios cerebrales. A B

Figura
Figura

AMMVEPE 2025; 36 (2): 62-67

B. Se muestran la reconstrucción de las proyecciones nerviosas que van desde la zona del tronco encefálico a diferentes zonas de la corteza cerebral en ambos sentidos de diferentes hemisferios cerebrales, demostrando las direcciones de difusión.

y la expansión del espacio extracelular.

De esta manera, en la paciente sujeta al estudio, se realizan reconstrucciones con secuenciascoronales,sedemuestrandiferentes proyecciones nerviosas que surgen desde el tronco encefálico hacia la zona delacortezacerebral,tomandodiferentes tonosdecolor,sedemuestrandeesemodo las diferentes direcciones de difusión del tractor corticoespinal (Figura 3).

Para la adquisición de las MRI se utiliza un Resonador de 3.0 Teslas marca General Electric, con una bobina neurovascularde16canales,modeloDiscovery MR750. Se utiliza una secuencia de difusión DTI HyperBand y se adquirieron 37 rebanadas axiales, con un grosor de 3 mm, con un campo de vista (FOV Field of View) de 156 x 156 mm, matriz 256 x 256mm,tiempoderepeticiónde4535ms, TE de 63,7 ms, B = 1000, 40 direcciones de difusión y 3 imágenes T2.

Procesamiento de datos

Los datos recabados se analizan en la estación de trabajo de GE ADW4.7, con

el software FiberTrack®, con el cual se calculan los valores y vectores propios medianteelmodelodeltensordedifusión; y una vez calculados, se utiliza el método degeneracióndetractosmediantesemillas (regiones de interés), se reconstruyeron los tractos nerviosos cerebrales y se superimponen sobre imágenes T2 (2021 General Electric Company Operator Manual MR750 Discovery).

DISCUSIÓN

La DTI ha demostrado ser una herramientaclaveenlaneuroimagenmoderna, permite la evaluación de la arquitectura de la materia blanca y su integridad funcional. En el presente caso clínico, el uso de DTI resulta fundamental para descartar alteraciones estructurales de la sustanciablancaenunperroderazaHusky con episodios recurrentes de cambios de comportamiento y posible alteración del estado de conciencia.

Durante la evaluación diagnóstica, la paciente presenta una anamnesis sugestiva de episodios convulsivos parciales

o eventos de origen neurológico, por lo que la DTI sirve para descartar que el origen convulsivo tiene un principio en la sustanciablanca.Apesardelosresultados normalesobtenidosenlaMRIconvencional, la inclusión de DTI en el protocolo de diagnóstico permite una visualización detallada de las fibras de sustancia blanca y su integridad, de modo que demuestra su utilidad en condiciones donde las alteraciones pueden no ser evidentes con técnicas de imagen convencionales.

Los hallazgos normales en las secuencias de DTI y las reconstrucciones tractográficassugierenquelasfibrasnerviosasevaluadasmantienensuestructura e integridad. Las proyecciones corticoespinales y las conexiones interhemisféricas del cuerpo calloso mostraron una distribución y organización simétrica, con patrones anisotrópicos de difusión normales. Esto descarta de manera preliminarpatologíascomodisplasias,hipoplasias o alteraciones estructurales de las vías de sustancia blanca. El enfoque de DTI utilizado no solo permite evaluar el estado actual de las vías nerviosas, sino

Figura 3. Tracto corticoespinal en vista trasversal. A. Tracto corticoespinal en vista coronal.

quetambiénestableceunalíneabasepara futuros estudios comparativos o longitudinales, donde el uso de un resonador de 3.0 Teslas con secuencias optimizadas paratractografíacontribuyealaprecisión de los resultados obtenidos.

El presente reporte de caso también subrayalaimportanciadelacolaboración interdisciplinaria y el acceso a tecnología avanzada en la práctica clínica veterinaria. La participación del Instituto de Neurobiología de la UNAM y el uso de herramientas como el software FiberTrack®permitenavanzarenlaevaluación de patologías neurológicas en especies como los perros, cuyo cerebro, aunque distinto al humano, comparte similitudes significativas que pueden ser exploradas con técnicas como DTI.

Esrelevantemencionarque,aunquelas fibras de sustancia blanca parecen estar intactasenestecaso,lapresenciadeepisodiosneurológicosintermitentesjustificala realización de estudios complementarios, como un electroencefalograma (EEG), para evaluar alteraciones electrofisiológicas y buscar posibles focos epilépticos corticales. Este paso adicional es crucial para completar la evaluación y definir un manejo terapéutico adecuado.

Finalmente, este caso ilustra el potencial de la tractografía para extender su aplicación a la investigación y clínica veterinaria, particularmente en condiciones complejas donde los métodos de imagen tradicionales pueden ser insuficientes. La creación de atlas DTI específicos para

caninos podría impulsar investigaciones futuras, permitiendo comparaciones más precisasentreespeciesyunacomprensión más profunda de las bases neurales de las patologías y su evolución.

Esteestudiotambiénrefuerzalanecesidaddedocumentardemanerasistemática los hallazgos normales en tractografía en poblaciones caninas diversas, lo que podría contribuir al desarrollo de líneas de investigación para estandarizar esta técnica. La generación de datos normativos ayudaría a identificar alteraciones sutiles, y también a categorizar mejor las patologías de sustancia blanca en etapas iniciales, mejorando el pronóstico y la calidad de vida de los pacientes.

CONCLUSIÓN

Lasfibrasdesustanciablancaestándistribuidas simétricamente, con patrones de colorquerepresentanladireccióndelflujo (generalmente codificado en RGB para las direcciones x, y, z). Esto es normal en cerebros sin patologías significativas. Las proyeccionesseobservanprincipalmentea niveldelcuerpocallosootractosasociados aconexionesinterhemisféricasyáreassubcorticales.Lapacientedelpresentereporte de caso no presentó alteraciones neurológicas después del estudio, sin embargo, se recomendaron estudios complementarios como EEG para identificar alteraciones electrofisiológicas y buscar evidencia de focos epilépticos en la zona de la corteza cerebral. Estos estudios se presentarán en un artículo complementario.

en perros

AMMVEPE 2025; 36 (2): 62-67

REFERENCIAS

1. Jones DK. Tractography gone wild: probabilistic fibre tracking using the wild bootstrap withdiffusiontensorMRI. IEEE Transactions on Medical Imaging 2008; 27(9):68-1274.

2. Jellison BJ, Field AS, Medow J, Lazar M, SalamatMS,AlexanderAL.Diffusiontensor imaging of cerebral white matter: a pictorial review of physics, fiber tract anatomy, and tumor imaging patterns. American Journal of Neuroradiology 2004; 25(3): 356-69.

3. MoriS,ZhangJ.Principlesofdiffusiontensor imaging and its applications to basic neuroscienceresearch. Neuron 2006;51(5):527-39.

4. Jacqmot O, Van Thielen B, Fierens Y, Hammond M, et al. Diffusion Tensor Imaging of White Matter Tracts in the Dog Brain. Anat Rec 2013; (296): 340-9. doi: 10.1002/ ar.22638.

5. Anaya-García MS, Hernández-Anaya JS, Marrufo-Meléndez O, Velázquez-Ramírez JL, Palacios-Aguiar R. In vivo study of cerebralwhitematterinthedogusingdiffusion tensor tractography. Vet Radiol Ultrasound 2015;56(2):188-95.doi:10.1111/vru.12211. Epub2014Oct6.PMID:25288360;PMCID: PMC4409102

6. Robinson JL, Baxi M, Katz JS, Waggoner P, Beyers R, Morrison E, Salibi N, DenneyTS, VodyanoyV,DeshpandeG.Characterization of Structural Connectivity of the Default Mode Network in Dogs using Diffusion TensorImaging. Sci Rep 2016;25(6):36851. doi: 10.1038/srep36851. PMID: 27886204; PMCID: PMC5122865.

7. Barry EF, Loftus JP, Luh WM, de Leon MJ, Niogi SN, Johnson PJ. Análisis basado en tensores de difusión de la materia blanca en el cerebro canino sano y envejecido. Neurobiología del envejecimiento 2021; 105: 129-36. https://doi.org/10.1016/j.neurobiolaging.2021.04.021

AMMVEPE 2018; 29(3-6):

Instrucciones para los autores

La Revista AMMVEPE, editada por la Asociación Mexicana de Médicos Veterinarios Especialistas en Pequeñas Especies, A.C., es una publicación cuatrimestral, la cual tiene como objetivo brindar información actualizada médicocientífica al profesional que ejerce la clínica en los perros, gatos, animales de laboratorio y animales de compañía no convencionales.

Larevistapublicaartículoseditoriales, científicos originales, comunicaciones preliminares, casos clínicos, estudios recapitulativos. Solamente escritos en español, elaborados en formato Word, tamaño carta (21.5 x 27.8 cm), letra Arial 12, a doble espacio. En el trabajo se indicará el lugar en el que se insertan las ilustraciones (diagramas, esquemas, gráficas, fotografías, dibujos) que serán representativasdeltema,enumeradascon caracteresarábigosporordendeaparición, cada una con el pie que comprenda la leyenda correspondiente en forma concisa y clara, en un archivo independiente al texto, con extensión .gif, .jpg.

Los escritos deben contener título corto en español e inglés que identifique la naturaleza del trabajo; palabras clave y

resumen en español e inglés; los nombres completos de los autores con los cargos actuales correspondientes (límite cinco autores); dirección electrónica de cada uno y teléfono del autor principal con la finalidad de que el editor establezca comunicación directa en relación con cualquier duda.

Los artículos deberán ser elaborados con desarrollo científico relacionado con las respectivas disciplinas y sus modalidades.ConbaseenelgrupoVancouver,el autor debe hacer siempre una declaración completaaleditorsobrelaspresentaciones e informes previos que pudieran considerarse como publicación precedente en otras obras y con mayor razón en otras revistas.

Elautordeberáavisaraleditoralertándoloparaqueseagreguenalabibliografía losinformesodocumentosdesujetosque hayan publicado de manera duplicada o redundante,ysiestoocurresinlanotificación de los autores, éstos deberán esperar a que se tome una acción editorial, por lo menos el rechazo del manuscrito y/o el aviso de publicación redundante o duplicadaconosinlaexplicaciónoaprobación del autor.

Tampocoimpidealasrevistasconsiderar un artículo que ha sido presentado en una reunión científica, pero que no se ha publicado o que ha sido considerado para la publicación en un libro de memorias o enunformatosimilar.Unavezpublicados los trabajos pasan a ser propiedad de la AMMVEPE.

Los escritos que sean rechazados se devolverán al autor; en caso de que requieran ser modificados se devolverán al autor principal con las indicaciones pertinentes, quien contará con 15 días hábiles para rectificar o ratificar las sugerencias, y posteriormente reenviar el artículo al Comité Editorial para su reevaluación.

Todos los trabajos serán enviados al siguiente correo electrónico: revista_ammvepe@hotmail.com, mismo que servirá para establecer cualquier tipo de comunicación, también a los siguientes números de WhatsApp: 55 2052-9634 y 55 1003-6632. Los conceptos vertidos en los escritos son responsabilidad de los autoresyenningúnmomentoseatribuyen al editor o a la RevistaAMMVEPE.

La bibliografía se cita de acuerdo con los criterios establecidos por el grupo Vancouver.

Fernando Viniegra R. y Dra. Katiuska Olmos J. Sobre la Ley de Protección.

AMMVEPE 2015; 26(4): 118

1969-2025

Dr.

Turn static files into dynamic content formats.

Create a flipbook
Issuu converts static files into: digital portfolios, online yearbooks, online catalogs, digital photo albums and more. Sign up and create your flipbook.
Revista AMMVEPE Mayo-Agosto 2025 by sanangelstudio - Issuu