Revista Terras - Edição 19

Page 1

Ponto de Encontro

Novo Centro de Convivência é inaugurado e promete gerar mais convívio e momentos de bem-estar à todos os moradores.

Revista Terras de São José • 1
Edição 19
Chegou o novo Kia Niro H썿brido HEV. Inova썋썃o inspirada pela natureza. COMPRE SEU KIA NIRO NA GANDINI KIA ITU. AV. FRANCISCO ERNESTO F숼VERO, 662. TEL: (11) 4024-8001.

Use a c쌷mera do seu celular para conhecer o Kia Niro em detalhes.

Juntos salvamos vidas.

O Kia Niro HEV chega para estabelecer um novo padr썃o em sustentabilidade, inova썋썃o e economia de combust썿vel na categoria de SUVs h썿bridos. Projetado com o cuidado na redu썋썃o de impacto ambiental, desde a escolha de materiais reciclados em seu interior at썗 o uso de tintas sem BTX em sua pintura. Seu sistema Full Hybrid 썗 equipado com motor Kappa PE 1.6L GDI e motor el썗trico com bateria de pol썿mero de l썿tio-썿on de 240 V, concebendo classi쏾ca썋썃o nota A pelo Inmetro, com consumo de 19,8 km/l de gasolina na cidade. Conhe썋a tudo que o Kia Niro tem para conquistar voc썛 em www.kia.com.br/niro.

Revista Terras de São José

• 3 kia.com.br
Av. Nove de Julho, 482, Vila Padre Bento (11) 4013-0353 (11) 5332-1427 Av. Zélia de Lima Rosa, 1559, Portal Ville Acácias - Boituva (15) 99761-0519 (15) 3316-5602 @innovato oficial ITU: BOITUVA:
Av. Zélia de Lima Rosa, 1533, Portal Ville Acácias - Boituva (15) 99808-5794 Av. Zélia de Lima Rosa, 389, Recanto das Primaveras I (11) 95801-7573 INOVE SEU LAR COM SOFiSTiCAÇÃO HOME GARDEN: BOITUVA: Av. Antônio Carlos Comitre, 1400 - Parque Campolim SOROCABA:

Ano novo com novas possibilidades de convívio e bem-estar

Chegamos a edição de dezembro da Revista Terras de São José que nesse editorial brinda a tão desejada entrega do “Centro de Convivência”.

Bem como fizemos após a finalização do Restaurante Boulevard, a atual edição permite que moradores conheçam e tenham mais detalhes do espaço que irá promover momentos de descontração, lazer e bem-estar. Há cerca de 1 mês estive acompanhando a fase final da construção com os envolvidos na obra e administração do condomínio, e pude notar a grande expectativa que existia sobre esse novo local. Não somente por promover ambientes mais agradáveis e adequados aos novos hábitos, também chama a atenção como cada detalhe do projeto foi pensado trazendo uma grande funcionalidade para diferentes públicos que possam se utilizar essas áreas. Desde a reforma do estacionamento, o complexo de quadras de Beach Tênis, o moderno salão se unindo a uma academia equipada com aparelhos de última geração além da brinquedoteca de fácil acesso para as crianças, demonstram o quão importante tudo isso será para o futuro do Terras.

Além do fundamental e necessário conteúdo de capa que irá marcar mais um importante momento, nosso trabalho ainda contempla as sessões que todos gostam de acompanhar: “Espaço Tech”, “Náutico”, “Turismo”, “Raio X” e o “Social” que credencia nossa publicação como uma das maiores e mais especializadas da região.

Aproveito esse editorial como forma de parabenizar o síndico Arnaldo, Julyana, bem como todos da administração e envolvidos na obra que deixaram um legado positivo para o Terras.

Desejo um feliz natal e um próspero ano novo à todos!

Direção Editorial

Gabriel Miloco Barbosa gabriel@editoram.com.br

Diretor de Redação

Gabriel Miloco Barbosa gabriel@editoram.com.br

Direção de Arte arte@editoram.com.br

Atendimento

11 2715-7609 / 11 97609-0808

Para Anunciar 11 2715-7609 11 9 7631-6336 comercial@editoram.com.br

A reprodução total ou parcial da Revista Terras de São José somente será possível com autorização por escrito.

As informações contidas nos anúncios são de total responsabilidade dos anunciantes, bem como os artigos são de responsabilidade de seus autores. A Revista Terras de São José não expressa nenhuma forma de opinião.

20
Editorial

Cuidando da saúde da mulher em todas as fases

E a falta desse hormônio vai impactar diretamente em nosso corpo, causando sinais e sintomas específicos desta fase, tais como:

- Ondas de calor, conhecidas como fogachos, que são episódios súbitos de sensação de calor na face, pescoço e parte superior do tronco, geralmente acompanhados de rubor facial, sudorese, palpitações cardíacas, vertigens, fadiga muscular;

- Ressecamento vaginal, com a consequente redução da lubrificação natural e dor durante as relações sexuais;

- Redução da libido sexual;

- Incontinência e urgência urinárias, e aumento de risco para infecções urinárias de repetição;

- Alterações do humor, como irritabilidade e labilidade emocional;

- Alterações do sono, mais comumente a insônia;

- Perda de massa óssea, aumentando o risco de osteopenia e da osteoporose;

A expectativa de vida da mulher brasileira é de 80 anos, segundo o IBGE, enquanto a idade média dela entrar na menopausa é por volta dos 48-50 anos. Isso significa que a maioria das mulheres vivem pelo menos uns 30 anos após a menopausa (cerca de > 1/3 do tempo de toda sua vida).

E como lidar com tantas mudanças em nosso corpo e nossa vida por tanto tempo?

Amenopausa, tão temida por muitas mulheres, é caracterizada como a última menstruação da vida da mulher, marcando um longo período da nossa vida, no qual ocorre queda importante do nível do hormônio feminino estrogênio.

Acredito que a chave do sucesso é: cuidar de si mesma. Afinal, ninguém pode fazer isso por nós, senão nós mesmas. A saúde começa pelos bons hábitos, que devem ser cultivados diariamente. Manter uma rotina de exercícios físicos, principalmente os de fortalecimento

28
Publieditorial

e resistência, é muito importante para a saúde cardiovascular, para controle de peso e para a saúde motora como um todo, que inclui a saúde óssea. A evolução natural da saúde óssea feminina após a menopausa é desenvolver osteopenia e muitas vezes osteoporose com o passar dos anos. Até 20% da perda óssea pode acontecer durante o climatério, mais acentuadamente na pós-menopausa, o que leva uma em cada 10 mulheres com mais de 60 anos a serem afetadas pela osteoporose em todo o mundo. É claro que existem outros fatores de risco para a doença, como: histórico familiar, sedentarismo, baixa ingestão de cálcio e vitamina D, tabagismo, algumas doenças reumatológicas, endócrinas e hepáticas.

Além de manter uma rotina de atividade física, é super importante cultivar bons hábitos alimentares, e na menopausa especialmente devemos aumentar a ingesta de alimentos que contenham cálcio (folhas verdes, castanhas, sementes, frutas secas, leite e derivados como iogurtes) e vitamina D (atum, salmão, sardinha, cogumelos, bife de fígado e ovos). Muitas vezes, é necessária inclusive uma suplementação para conseguir a ingestão adequada.

Em relação aos outros sinais e sintomas da menopausa, como os fogachos e o ressecamento vaginal, que sabidamente atrapalham muito a qualidade de vida de quem tem, todos têm tratamento, com excelentes resultados.

Cuidar da saúde na pós-menopausa inclui cuidar também da saúde íntima. Sabemos que a questão da libido sexual é multifatorial, porém como se ter libido se as relações sexuais são dolorosas? Se ocorrer falta de lubrificação?

Os fogachos muitas vezes vão necessitar de uma reposição hormonal adequada para sua melhora. Já para o ressecamento vaginal, hoje contamos com tratamentos mais modernos e sem hormônios, como o la-

ser vaginal. Além de tratar a atrofia vaginal da menopausa, o laser vai tratar também toda a síndrome geniturinária na menopausa.

A síndrome geniturinária na menopausa é o conjunto de sinais e sintomas da atrofia vaginal com sintomas urinários, todos decorrentes da falta do hormônio estrogênio dos pós menopausa. Ela é caracterizada por: ressecamento vaginal, sensação de queimação e ardor vaginais, dores para ter relações sexuais, fissura e microfissuras vaginais, incontinência urinária e infecções urinárias de repetição.

E por que o laser melhora tudo isso? Qual seu mecanismo?

O laser causa toda uma remodelação do tecido vaginal, estimula a síntese de colágeno, causa vasodilatação e aumenta assim a irrigação local, estimula a síntese de elastina e restaura a arquitetura do colágeno já existente. Normalmente são necessárias apenas 3 sessões (uma a cada mês) para se ter um resultado satisfatório.

A medicina evoluiu muito ao longo dos anos, principalmente a ginecologia na questão da saúde da mulher pós-menopausa. Hoje sabemos que os tratamentos são seguros quando feitos com responsabilidade e quando bem indicados. A própria reposição hormonal, antes muito temida até mesmo pelos próprios médicos, pode ser segura e trazer muitos benefícios para as mulheres.

A mensagem que quero deixar é: cuidem-se. Os seus possíveis trinta anos (ou mais) após a menopausa merecem ser vividos com qualidade. E os cuidados devem começar hoje, agora.

Agende uma consulta anualmente com seu ginecologista de confiança e não se esqueça de levar todas as suas queixas e angústias a ele. A Ginecologia está aí para te ajudar.

Da Vinci Medicina Integrada (11) 2429-8707 | (11) 9.4779-5010 | @davincimed

Av. Plaza, 6 - Campus Offices - 5 º andar - Sala 512 Jardim Paraíso - Itu/SP

Vivitá By Originare (19) 3203-2759 | @clinicavivita R. Barbosa da Cunha, 875 - Jardim Guanabara Campinas/SP

Revista Terras de São José

• 29
Publieditorial
|
www.dramarianaginecologia.com.br
@dramarivasconcelos
CRECI 32043 J Ref. CC00643 Saiba mais: Terras de São José I 2.400 m² de área | 1.000 m² construídos

Terras de São José 3.760 m² de área | 1.300 m² construídos

Sofisticação e exclusividade, assim é o Condomínio Terras de São José. Com ampla infraestrutura, segurança e integração com a natureza, distribuídos em 4,2 milhões m² de área verde, oferece aos seus moradores todo conforto da cidade de Itu-SP.

A 5005 Imóveis tem o prazer de agradecer todos os nossos clientes e amigos por mais um ano juntos. Esperamos que em 2023 possamos continuar a conquistar juntos novos sonhos e ampliar nossa parceria.

Boas Festas!

5005 Imóveis, mais que uma imobiliária, sua parceira na gestão de imóveis!

99900-5005

5005_IMOVEIS

• 31
Revista Terras de São José
5005IMOVEIS
(11)
CRECI 32043 J IMÓVEIS
Ref. CC00659 Saiba mais:

M O D E R N I D A D E E A C O N C H E G O

Esse projeto é uma casa feita para casal jovem, com filho pequeno, que querem aproveitar os seus momentos em família com os ambientes totalmente integrados. Pensamos em cores aconchegantes e ao mesmo tempo com a tecnologia atual disponível, utilizando todo o possível em relação materiais tecnológicos e específicos para melhor desempenho de cada situação.

R. 5 de Julho, 268 Jd. Pau Preto, I ndaiatuba (19) 3816-4600 @arqmarianatrinca Mariana Trinca Arquiteta responsável pelo Projeto
36
Náutico Salão Grand Pavois acontecerá em Salvador em 2023 70 Lançamentos Automotivos Confira as novidades do setor 78 Raio-X Rolls-Royce Spectre revelato 88 Saúde Pense na sua saúde e proteja-se do sol 98 Tech Games Confira os lançamentos do mundo dos games 118 Social Aberto Gocil do Terras de São José Golfe Clube 130 Cultura Eventos na região 134 Índice Hora de Viajar Patagônia, prontos para a viagem? 106 Matéria de Capa O novo ponto de encontro dos moradores 52
Setor
Revista Terras de São José • 37 Av. da Saudade, 294 - Vila Padre Bento - Itu/SP /padovaniconceito | @padovaniconceito (11) 4013-8787 | padovaniconceito.com.br Experiencie no LojaaC ce o Pisos, Revestimentos, Louças e Metais das melhores marcas do mercado. Venha conferir!

E q u i p e E s p e c i a l i z a d a To d o s o s p r o fi s s i o n a i s d a e q u i p e s ã o f o r m ad o s e m E d . F í s i c a e t r e i n a d o s i n d i v i v u a l m e nte p e l a p r ó p r i a S te p h a n i e R i c h e .

V i s i t e n o s s o I n s t a g r a m

C o n h e ç a o M é t o d o S t e p h a n i e R i c h e

Móveis Rústicos, Painéis e Portas de Madeira de Demolição Churrasqueiras e Balcões Refrigerados Móveis para Áreas Externas em Fibra e Corda Náutica Adegas

Móveis Rústicos, Painéis e Portas de Madeira de Demolição Churrasqueiras e Balcões Refrigerados Móveis para Áreas Externas em Fibra e Corda Náutica Adegas Customizadas Painéis Verdes Permanentes

MÓVEIS
Avenida José Augusto Pickardt, 141 - Itu Novo Centro - Itu/SP @emporiobelka | (11) 9.7477-0736 Visite Showroom nosso

Casa

no Condomínio

Vila dos Manacás

Em um terreno de 360 m², a casa possui 225 m² de área construída, com 3 suítes, sendo uma com closet. Também possui 4 vagas de garagem, sala com pé direito duplo, área gourmet, piscina, caixa d’água com 3.800 litros e aquecedor solar já instalado. Pode ser vendida com ou sem a mobília.

Consulte-nos.

50
Nós temos o imóvel ideal para a sua necessidade!
Revista Terras de São José • 51 (11) 9.5825-2606 (11) 4023-6735 sampaioimobiliaria Sampaio Soluções Imobiliárias Formado em Gestão de Marketing e com vasta experiência no mercado imobiliário pela Abyara Brasil Brokers, está habilitado sob a inscrição N° 185539-F do CRECI para oferecer as melhores opções do mercado. Conte com a experiência da Sampaio Soluções Imobiliárias para encontrar a melhor opção para a sua necessidade. Carlos Eduardo de Paula Leite Sampaio Proprietário da Sampaio Soluções Imobiliárias A Maior e Mais Bem-Sucedida Organização de Networking de Negócios do Mundo! ESTAMOS NO BNI

O novo ponto de encontro dos moradores

Conteúdo por Rafael Paco | Fotos Zeh Castedo Matéria de Capa

Conheça a nova estrutura do Centro de Convivência, inaugurada em dezembro de 2022 e que passa a ocupar o espaço da antiga e tradicional lanchonete das Terras.

Moderno e seguindo o novo conceito predial implementado no condomínio, os moradores poderão usufruir de uma espaço multiuso de excelência

Matéria de Capa Matéria de Capa

As Terras de São José se tornou um verdadeiro refúgio para os seus moradores ao longo dos últimos anos, principalmente após a pandemia – que voltou a ameaçar com o aumento dos casos de Covid – e o fluxo cresceu sensivelmente a população residente do condomínio.

Porém mesmo antes de toda a turbulência causada pela crise sanitária em todo o mundo e que exaltou a importância de ambientes especiais como das Terras de São José, a última administração coordenada pelo empresário André Magalhães e agora por Arnaldo Spinardi, que encerra o seu ciclo à frente da gestão no próximo mês de março, iniciaram um processo de modernização completa de toda a infraestrutura predial do condomínio.

As áreas de convivência sempre foram o foco das gestões e que impactam diretamente no dia a dia da população das Terras como o Restaurante Boulevard; o Centro Hípico; o complexo de Tênis e Beach Tennis, e agora o Centro de Convivência que passa a ocupar o lugar da antiga e tradicionalíssima Lanchonete das Terras, um ponto de encontro que marcou época e era o reduto dos grupos esportistas, dos carteados, dos vinhos e também dos jovens que tornavam o espaço dinâmico e multiuso no condomínio.

E após a grandiosíssima obra do Restaurante Boulevard, que marcou história no condomínio como a última inauguração tendo a presença dos idealizadores Sr. Rosaldo Malucelli e o Sr. Jacob Federmann, que faleceu em abril de 2021

vítima de complicações da Covid-19, chegou a hora de trazer o novo conceito para a tradicional lanchonete, que teve a inauguração marcada por uma belíssima homenagem aos dois empreendedores.

Iniciadas ainda em 2021, as obras começaram a mudar gradativamente a paisagem da principal região de convívio do condomínio.

Concluídas neste mês de dezembro com direito a uma solenidade diferente, com a realização de um torneio de Beach Tennis nas novas quadras ao lado e um café da manhã, os moradores já podem se planejar para conhecer o novo ponto de encontro.

O local tem a mesma identidade visual implementada em todo o residencial sob a coordenação do arquiteto Cristiano Ribeiro.

O espaço contempla o público infanto-juvenil, além de uma academia completa e vestiários modernos para também atender ao público do playground infantil. Aulas de pilates e tai chi chuan também estão previstas para o novo espaço.

Importante pontuar que o Centro de Convivência integra o mini complexo com o Restaurante, playground e também as quadras de Beach Tennis.

E para quem ainda não teve a oportunidade de conhecer o novo espaço - que ainda passa por alguns ajustes - não pode perder a chance de visitar e ficar deslumbrado com as novas estruturas.

Revista
de São José • 55 Matéria de Capa
Terras

Vale ressaltar que todo o complexo citado sofreu mudanças de layout com a ampliação da área de estacionamento, avançando onde estava instalado o playground infantil, além da quadra de futebol society na lateral.

O espaço kids fora transferido totalmente para a área nos fundos do restaurante com uma visão privilegiada dos pais que podem ficar no deck curtindo um happy hour com os amigos e de olho nos pequenos.

E o complexo multiuso envolto ao novo Centro de Convivência ainda contempla a ampliação das quadras de beach tennis para os amantes da modalidade com acesso prático aos vestiários do espaço.

O conceito das novas estruturas têm proporcionado uma nova visão do condomínio. A nova roupagem teve como início a construção do Restaurante Boulevard que marcou a nova era do condomínio sem perder a sua essência peculiar, com ambientes especiais e históricos como a capela.

Localizada na Alameda Laço de Fita, os moradores e clien-

tes já se deparam com um bar moderno e uma parede verde ao fundo, além de uma jabuticabeira no centro do salão, que dá um toque todo especial ao espaço, remetendo a preocupação e valorização da natureza pelo condomínio.

Com mesas de madeira natural e um painel de corda trançada, além de uma varanda com vista para o pôr do sol, os moradores das Terras poderão curtir o novo espaço gastronômico e gourmet.

O novo modelo também foi aplicado na sequência em todos ambientes como a Sede do Tênis, uma das práticas esportivas mais valorizadas e de destaque do residencial com 14 quadras de saibro e também de piso rápido.

Vale ressaltar que além do Centro de Convivência, uma das principais ações previstas para o segundo semestre era o início das obras da revitalização completa da Portaria Sul, já aprovada na Assembleia e que vem sendo avaliada desde 2019. O projeto contempla a revisão de todo o complexo da portaria Norte.

56
de Capa
Matéria
Matéria de Capa Matéria de Capa

Porém, a expectativa é que a obra tenha início apenas em 2023 em virtude da futura troca de gestão no primeiro trimestre, além dos ajustes orçamentários e direcionamento que serão aprovados em assembleia com a próxima equipe.

Com a mesma identidade visual das novas áreas do condomínio, moderna e funcional, a portaria prevê a melhora do atual e futuro fluxo de condôminos e visitantes que serão independentes, além de acesso de pedestres controlado, áreas de estacionamento (interno e externo) e via para eventual entrada de serviço para pequenos caminhões e vans.

O projeto de remodelação da Portaria Norte, o principal acesso dos prestadores de serviços e visitantes ao condomínio, também será remodelado, porém ainda sem previsão de início das obras. Vale ressaltar que as duas portarias já estão com o sistema de leitura facial em pleno

funcionamento.

Na área norte, a mudança contempla as vias de acesso, inclusive com a remodelação completa da Sede Administrativa – que poderá ser transferida de local – e também a base de operações das equipes de manutenção, além do canil e pátio dos veículos.

Ainda no processo de modernização completa das Terras, a gestão do condomínio tem pensado em todos os aspectos para proporcionar bem-estar, qualidade de vida e praticidade aos moradores e também para a gestão do condomínio.

Já estão em andamento todos os estudos técnicos para a migração de toda a rede elétrica e cabeamentos para a rede subterrânea, assim como toda a rede de água e esgoto, todas integradas e de fácil manutenção pelas equipes especializadas.

Revista
de São José • 59
de Capa
Terras
Matéria

Vale ressaltar que a fiação pode abranger toda a rede elétrica, bem como a rede de cabos de telefonia e TV, e apresenta diversas vantagens do ponto de vista da infraestrutura do condomínio.

A fiação subterrânea, por exemplo, é um modelo de cabeamento que substitui a fiação aérea. Acostumados com fios de energia aérea, ligando os postes de luz à iluminação de unidades consumidoras de residências, a fiação e cabeamento subterrâneo diminui riscos de acidentes, além de contribuir com a estética da fachada dos imóveis.

Com a fiação subterrânea, o risco de um rompimento do fio com queda de galhos e árvores, o que pode acontecer devido a arborização das Terras, é nulo, visto que todos os cabos de alta, média e baixa tensão estão enterrados, proporcionando segurança e resistência a longo prazo.

Outro ponto importante é quanto à economia e desempenho, a eficiência é ainda melhor. Isto porque este modelo de fiação libera mais energia do que o modelo aéreo por poder

ter diâmetros maiores. Essa eficiência se reflete na estabilidade da rede e na perda muito menor de energia ao longo do percurso. Uma rede bem estável de energia elétrica é fundamental para as residências e espaços maiores como nas Terras de São José.

Concebido em 1975 e considerado o primeiro loteamento residencial urbano do Brasil, as Terras de São José dará mais um passo importante para a sua consolidação como referência no segmento residencial.

A partir da estruturação do projeto executivo que apresentará todos os detalhes das obras de instalações subterrâneas, uma nova assembleia será realizada para a definição dos valores a serem investidos na infraestrutura do condomínio.

Como projeto futuro para ampliação das opções de lazer do condomínio, a administração está realizando um estudo para a criação do Parque dos Esportes, que contará com as modalidades de skate, bicicleta e patins, e será localizado no estacionamento da Capela.

60 Matéria de Capa
Matéria de Capa
A equipe Henrique Terras atua no mercado imobiliário desde 1998 com os loteamentos Terras de São José I e II, Villas do Golfe, Santo Antônio II e Parque Ytu Chapada, negociando e apresentando imóveis de alto padrão com qualidade e valores especiais, sendo referência em Itu e região. Entre em contato: 11 9.9989-6395 | henriqueterrassj@terra.com.br 11 9.9958-0315 | marisabelcmsanto@terra.com.br O bem-estar de morar no interior
64 R. Hilda Del Nero Bisquolo, 102 Ed. The One Office - Sala 716, Jundiaí, SP 11 4522-6856 djconstrucoes CONFIANÇA É UMA DAS COISAS QUE CONSTRUÍMOS BEM! São 22 anos de experiência no mercado de construção civil, nos tornando referência em projetos de alto padrão. T Trazendo sempre qualidade e visual impecáveis para o seu projeto.

Lombo com molho de mostarda (700gr) -Tender com fios de ovos (700gr) - Filé Mignon com molho oriental (700gr)Arroz de Frutas (700gr) - Farofa de Linguiça (700g)Salpicão de peito de peru (700gr) - Batata glaceada com missô (700gr)

A S S Ó C I A S L A I Z A M I R E L L E E I R E N E B E R G A M O ,
J
U N TA S H Á 0 4 A N O S À F R E N T E D A D I R E Ç Ã O D O S PA
Nosso
Ariza Hospital Veterinário (2) (11) 2429.6739 | (11) 9 9873.8088 | (11) 9 9944.2941 Rua José Bruni, 158 | Itu Novo Centro - Itu/SP
Centro Cirúrgico conta com um espaço voltado para você assistir cada procedimento realizado e um quarto com todo o conforto para você dormir com o seu pet.

SALÃO GRAND PAVOIS ACONTECERÁ

EM SALVADOR EM 2023

Salvador será o alvo do setor náutico mundial, principal o europeu, em 2023, com a realização do Salão Náutico Salvador com Grand Pavois. O evento na capital baiana foi um dos temas apresentados e confirmados pela Prefeitura de Salvador durante a 25ª edição do São Paulo Boat Show, realizado na São Paulo Expo, na capital paulista. O encontro contou com a participação de empresários do setor náutico de todo o país, diretores do 50º Salão Grand Pavois, na França, e representantes da Prefeitura de Salvador.

O momento, que ocorreu de forma simultânea com o Salão Grand Pavois, na França, foi uma grande oportunidade de apresentar a edição de um dos maiores salões náuticos do mundo, a ser realizado de forma inédita na capital baiana nos dias 15 a 20 de agosto do próximo ano na Bahia Marina, que fica no Bairro do Comércio. A estrutura prevista será de 4 mil m² e contará com exposição de barcos, equipamentos, pavilhões com temas do universo náutico, palestras, fóruns, entre outras atividades.

Já em La Rochelle, na França, o estande disponibilizado para Salvador pela direção do Grand Pavois, foram projetados permanentemente, além dos produtos específicos relacionados ao setor náutico, imagens de Salvador. O evento também contou

com a presença de representantes da administração municipal.

A secretária de Cultura e Turismo (Secult), Andrea Mendonça, ressaltou que a iniciativa foi importante para mostrar Salvador, além de todo potencial náutico, como um dos mais importantes destinos turísticos do Brasil. “Trazer o Salão Náutico Grand Pavois para Salvador vai dar credibilidade e consagrar o turismo nesse segmento, aquecendo a economia do município”.

Oportunidade – O Salão Náutico Salvador com Grand Pavois será montado na Bahia Marina, no Comércio, com exposições de barcos, equipamentos e diversas atividades relacionadas ao setor.

O evento trará oportunidades para quem deseja trocar ou comprar embarcações dos mais variados portes, assim como para conhecer as novidades e tecnologias, veículos de renomados estaleiros nacionais, motores, acessórios e ainda ficar por dentro das novidades em serviços náuticos. A iniciativa faz parte dos esforços da administração municipal para estimular o turismo e economia náutica na cidade.

O evento - Foi em 1973, em plena crise do petróleo, que quatro pioneiros dos estaleiros de La Rochelle assumiram a liderança e formaram o núcleo duro de uma associação profissional independente cujo objetivo seria coordenar e promover

70 Setor Naútico

os interesses da indústria dos desportos náuticos. Eles criaram a associação Grand Pavois. Sua ambição? Criar um espetáculo náutico onde fosse possível aos gestores de estaleiros, conhecer os barcos náuticos e, sobretudo, marcar encontros para experimentar barcos no mar.

Exemplo único na Europa e quase único no mundo das feiras, a Grand Pavois Organization Association sempre foi regida por profissionais ao serviço de profissionais e iatistas. Fruto deste

RIO BOAT

estatuto associativo, a GPO tem uma ligação muito forte com o mundo profissional do iatismo internacional.

E é por isso que a feira está sempre alinhada com as necessidades do mercado francês e internacional. Destaca as qualidades da produção francesa, europeia e mundial e demonstra a riqueza e multidisciplinaridade de pequenos estaleiros que muito provavelmente escolherão o Grand Pavois La Rochelle como seu salão anual.

Fonte – Governo de Salvador / Grand Pavois

E VELA SHOW EM 2023 COM MUITAS NOVIDADES

SHOW

Com o aumento da procura por embarcações impulsionado também pela pandemia, os eventos náuticos têm ganhado força.

E o Rio Boat Show, considerado um dos mais aguardados pelos amantes do mundo náutico, chega a sua 24ª edição em um dos principais pontos turísticos do local: a Marina da Glória.

Com vista para a Baía de Guanabara, aos pés do Pão de Açúcar e sob o olhar atento do Cristo Redentor, o evento reuniu em sua última edição – 2022 – 35 mil visitantes durante os 9 dias de realização do evento.

Além da tradicional exposição de barcos, o evento do Rio Janeiro apresenta inúmeras atratividades que complementam o show, como test drive nas embarcações expostas, shopping náutico, desfile náutico, tesouros náuticos, vila gastronômica, espaço kids, atrações musicais, experiências na água e projetos inclusivos, tudo pensado e elaborado para proporcionar um verdadeiro passeio náutico às margens da Baía de Guanabara.

E para divulgar a edição especial de 2023, a organização em parceria com o estaleiro catarinense Evolve Boats — que será uma das marcas expostas —, e a empresa Sul Yachts, realizarão uma ação pelo mar neste sábado e domingo de carnaval, dias 26 e 27 de fevereiro, distribuindo convites na praia do Tinguá, em Florianópolis (SC).

Edição SP – Vale ressaltar que a 25ª edição do São Paulo Boat Show foi fechada com números expressivos. Mais de 36 mil pessoas visitaram a feira (crescimento de 9% em relação a 2021), que teve 123 barcos expostos e cerca de 100 marcas trazendo acessórios, brinquedos náuticos, destinos turísticos, cotas de compartilhamento de embarcações, além de carros de luxo e até um helicóptero e a comercialização de mais de 500 embarcações, geração de mais de R$ 500 milhões em negócios.

Vela Show 2023 - A terceira edição da Vela Show, única feira 100% dedicada à modalidade no país, será realizada em 2023, na cidade de Ilhabela (SP). O evento reúne os principais players da cadeia produtiva de vela, náutica, turismo e serviços, além de promover regatas comemorativas. Toda a estrutura será montada na Escola de Vela Lars Grael e as atividades serão apoiadas pela prefeitura local.A exposição será realizada nos dias 09, 10 e 11 de junho e promete trazer mais palestras e promover regatas na cidade, que é considerada a Capital da Vela no país.

Em 2022, o evento foi realizado no Clube Naval Charitas, em Niterói (RJ). Três anos antes, ainda sem pandemia, o VelaShow fez sua estreia no Brasil na cidade de Itajaí (SC), em 2019.

O evento tem como propósito proporcionar aos expositores e visitantes um encontro de tendências, inovações e tudo aquilo que o setor da vela náutica tem de melhor em produtos, serviços e treinamentos para velejadores apaixonados pelo mar. Grande parte dos expositores presentes na edição 2022 já garantiu a presença no VelaShow 2023. Com Ilhabela (SP) como destino, a organização espera aumentar o número de empresas na cidade.

Revista Terras de São José • 71
Setor Naútico
72 www.silvanacarvalho.com.br Existem dezenas de imobiliárias no mercado, mas apenas o Grupo Silvana Carvalho para você encontrar seu imóvel de alto padrão. cód 24076 Terras de São José I Terras de São José II *Atenção: os valores podem ser alterados sem aviso Terras de São José II
Rua Capitão Silvio Fleming, 191, Vila Nova | (11) 9 3722-6522 Jundiai: Jundiaí Shopping | (11) 9 3257-6519 Sorocaba: Shopping Iguatemi | (15) 9 9701-6511
AQUI
MAGIA
PRESENTE! 3 LOJAS EM ITU Catálogo Online
Natal
A
É

CAUTELA E INFORMAÇÃO COMO PROJEÇÃO IMOBILIÁRIA PARA 2023

CAUTELA PROJEÇÃO

Para o médio prazo é possível que a inflação venha com mais força causando desgaste em algumas instituições, podendo até impactar o rating do Brasil.

Esse momento pode impactar nos valores de locação podendo ser ajustados e ao mesmo tempo poderá haver uma elevação na oferta, o que implica em ajuste de valores no mercado

A longo prazo poderemos ter queda do PIB, que segundo o último Boletim Focus projeta um crescimento de 1,0% em 2023, aumento da inflação e gerar uma atmosfera de incerteza que pode culminar em maior oferta de imóveis para venda, com consequente ajuste de valores, principalmente dos imóveis com mais de 15 anos de uso

Essas previsões podem ser impactadas ainda mais caso tenhamos um incremento na recessão mundial ou a intensidade da guerra entre Ucrânia e Rússia, já que o mundo hoje está totalmente conectado.

Cautela é o nome do jogo para 2023!

O cenário político criado a partir das eleições presidenciais proporcionaram um momento de pura expectativa e incertezas do ponto de vista econômico, o que impacta diretamente no mercado imobiliário de alto padrão.

As perspectivas econômicas indicam que a partir do segundo semestre as taxas de juros tendem a baixar aos poucos, e na primeira semana de dezembro a previsão da Selic para o final de 2023 é de 11,75%.

E com o novo governo, que inicia a gestão a partir de 1º de janeiro - mesmo em meio a este ‘terceiro turno’ em virtude de protestos - sinaliza que irá gastar acima da meta com o aval do Senado e Câmara dos Deputados, injetando mais dinheiro na economia, o que poderá gerar inflação e a falsa sensação de crescimento e desenvolvimento.

Outro ponto a ser ponderado é quanto ao direcionamento da equipe econômica do futuro governo federal e mesmo com os nomes já divulgados a incerteza ainda é grande devido aos rumos da economia na visão do mercado.

E para falar de projeções para o mercado imobiliário de alto padrão com esse cenário é preciso dividir a análise em três momentos: curto, médio e longo prazo.

No curto prazo, acredita-se que nada será alterado de imediato. Devemos manter a demanda por locação e temporada aquecida no primeiro trimestre e a compra consciente, cliente com real interesse no condomínio e está em busca de estabilidade e tranquilidade para a família.

Mesmo em momentos de incerteza como o que entraremos em 2023, com informação e conhecimento, surgem ótimas oportunidades para vendedores e compradores do segmento de alto padrão.

Cautela é o nome do jogo para O cenário político criado a ciais proporcionaram um momento e incertezas do ponto de vista econômico, tamente no mercado imobiliário de

É fundamental estar atento a esses movimentos e conectado a profissionais com visão global de mercado, que tenham informação não apenas da área imobiliária, como também de finanças e até mesmo política, assim você se sentirá apoiado para tomar as melhores decisões no momento mais oportuno.

As perspectivas econômicas indicam semestre as taxas de juros tendem primeira semana de dezembro a previsão de 2023 é de 11,75%.

Garantimos que o mercado imobiliário sempre terá ótimas opções para o cliente que realmente esteja interessado em buscar um refúgio no interior paulista, portanto consulte todo o portfólio disponível nas nossas plataformas e com certeza o seu sonho se transformará em realidade.

E com o novo governo, que inicia janeiro - mesmo em meio a este ‘terceiro protestos - sinaliza que irá gastar acima Senado e Câmara dos Deputados, economia, o que poderá gerar inflação crescimento e desenvolvimento.

Aponte a câmera do celular para o QR Code e confira todo o portfólio da Excellence Brokers

Outro ponto a ser ponderado é quanto equipe econômica do futuro governo nomes já divulgados a incerteza ainda mos da economia na visão do mercado.

E para falar de projeções para o padrão com esse cenário é preciso mentos: curto, médio e longo prazo.

Adriana Cinelly | Excellence Brokers (11) 9.9499-1801 www.excellencebrokers.com.br

Adriana Cinelly - Excellence Brokers excellence_brokers | Excellence Brokers

No curto prazo, acredita-se que nada to. Devemos manter a demanda por cida no primeiro trimestre e a compra real interesse no condomínio e está tranquilidade para a família.

Revista Terras de São José • 77
Publieditorial
Publieditorial

Lançamentos Automotivos

Corvette Z06

O novo modelo da GM terá motor V8 LT6 5.5 naturalmente aspirado que gera aproximadamente 680 cv a 8.400 rpm e 63,6 kgfm a 6.300 rpm.

O modelo ainda não está disponível para venda no Brasil.

Ferrari 296 GTB

É uma coisa linda, não é? Após os agressivos F12 TDF, 488 Pista e 812 Competizione, saúdo de braços abertos o retorno da Ferrari a um estilo mais clássico. A 296 GTB é equipada com um V6 3.0 biturbo de 663 cv aliado a um motor elétrico de equivalentes 167 cv.

Toyota Corolla Cross

Está entre os carros 2023 mais aguardados para este ano. Apesar de muitos acreditarem que ele ficará na sombra do Jeep Compass, o novo Corolla deve ser uma ameaça para o VW Taos 2023.

A princípio, o carro terá uma versão híbrida com motor de 1.8 de ciclo Atkinson e 101 cv. Além disso, apresenta integração do câmbio CVT, com mais de 72 cavalos. Portanto, a potência combinada é de 122 cv.

Jeep SUV 7 lugares

Os apaixonados por Jeep já podem comemorar, pois um dos 10 lançamentos de carros do ano é um SUV de 7 lugares, o Jeep Commander 2023. O modelo deve garantir maior conforto e comodidade, tanto para o motorista, quanto para os passageiros.

78

BYD Carros Elétricos

A BYD, um dos maiores fabricantes globais de carros elétricos, se prepara para dar um novo passo. Segundo uma reportagem da Reuters, a gigante chinesa disse que lançará no primeiro trimestre de 2023 uma nova marca premium exclusiva de veículos elétricos. A montadora chinesa adiantou que a submarca será chamada de Yangwang.

Novo HRV

O novo HRV 2023 também terá uma versão híbrida e vai bater de frente com modelos como Toyota Corolla Cross e o Jeep Compass, embora continue dentro do segmento de compactos. A apresentação do modelo aconteceu já no primeiro semestre de 2022.

VW Polo Track

Depois de anunciar um investimento de R$ 7 bilhões, a Volkswagen confirmou o lançamento do Polo Track 2023. Ele merece destaque por ferramentas tecnológicas que emitem menos gases poluentes. O modelo chega este ano, após o lançamento do novo Polo.

Honda City

A versão do Honda City Hatch 2022/2023 chegou ao Brasil em meados do ano passado. O modelo de entrada será bem simples, com poucos reajustes tecnológicos e visuais. Enquanto a Touring, versão topo de linha, ganhará destaque com mais equipamentos.

Revista
de São José • 79
Terras
Automotivos
Lançamentos
82 ESQUADRIAS DE ALUMÍNIO SOB MEDIDA ORÇAMENTOS VIA E-MAIL OU WHATSAPP (11) 2429-6886 / 99715-2161 contato@esquadriplus.com.br esquadriplus R. Alexandre Andreazza, 200, Jardim Res. Itaim, Itu/SP

ROLLS-ROYCE SPECTRE REVELADO: O 1º CARRO TOTALMENTE ELÉTRICO DA MARCA

Em 1900, o co-fundador da Rolls-Royce, Charles Rolls, profetizou um futuro elétrico para o automóvel. Tendo adquirido um veículo elétrico chamado The Columbia Electric Carriage, ele previu sua adequação como uma alternativa limpa e silenciosa ao motor de combustão interna – desde que houvesse infraestrutura suficiente para suportá-lo. Hoje, mais de 120 anos depois, chegou a hora da Rolls-Royce Motor Cars cumprir a profecia de seu pai fundador.

Essa profecia não poderia ter sido cumprida sem uma promessa mais recente, quando o CEO da Rolls-Royce, Torsten Müller-Ötvös, fez um compromisso público com a eletrificação ao anunciar que colocaria um Rolls-Royce totalmente elétrico no mercado na década atual. A profecia de Charles Rolls e a promessa de Torsten Müller-Ötvös levaram a um momento histórico. Em setembro de 2021, a marca confirmou que havia iniciado os testes do Spectre, o primeiro Rolls-Royce a ser concebido e projetado desde o início como um carro elétrico.

Para garantir que este automóvel transformador estivesse suficientemente preparado para o consumidor mais exigente do mundo – o cliente Rolls-Royce – a marca concebeu o programa

de testes mais exaustivo que alguma vez concebeu. Spectre está sendo submetido a uma viagem de mais de 2,5 milhões de quilômetros, simulando mais de 400 anos de uso de um Rolls-Royce. Em sua conclusão em 2023, Spectre representará uma profecia cumprida, uma promessa cumprida e um empreendimento concluído.

Spectre não é apenas um momento histórico para a Rolls-Royce, mas também um momento histórico para a eletrificação – com Spectre, a marca confirma que a tecnologia atingiu um padrão que pode conter a experiência Rolls-Royce. Para isso, a RollsRoyce confirmou que até o final de 2030 todo o seu portfólio de produtos será totalmente elétrico.

Spectre é mais do que um automóvel. É uma declaração de intenções e um símbolo de um futuro brilhante e ousado à medida que a Rolls-Royce avança para uma era totalmente elétrica. Este compromisso com um trem de força totalmente elétrico só vai melhorar a experiência Rolls-Royce – torque instantâneo, operação silenciosa e a sensação de uma marcha imperceptível definiram as características de um extraordinário cânone de produtos que remontam ao primeiro Rolls-Royce, o 1904 10 H.P.

88 Raio-X

Com o Spectre, a Rolls-Royce aproveitou um revolucionário sistema de 'Inteligência Descentralizada' que permite a troca gratuita e direta de informações entre mais de 1.000 funções do veículo, elevando ainda mais a celebrada qualidade de condução da marca. Seus designers capturaram uma estética contemporânea, mas atemporal, que avança significativamente na iconografia da marca à medida que ela embarca em sua era elétrica. Seus artesãos criaram um conjunto de possibilidades contemporâneas de personalização prêt-à-porter, incluindo Starlight Doors e Illuminated Fascia, inspirando os clientes a realizar suas próprias visões sob medida.

Ao revelar o Spectre, a Rolls-Royce estabelece um novo precedente na criação de uma classe totalmente original de automóveis: o Ultra-Luxury Electric Super Coupé. Esta designação refere-se às proporções indulgentes de Spectre, especificadas em resposta a um compromisso de que não há maior luxo do que o do espaço.

Os designers da marca estão profundamente enraizados no contexto ocupado por seus automóveis. Portanto, sua inspiração vem de mundos muito além do automotivo, incluindo alta costura, escultura modernista, design náutico, alfaiataria e arte contemporânea. Ao conceber os esboços principais para Spectre, os criativos da marca foram atraídos para conceitos de iates modernos, especificamente a clareza e precisão da linha, uso inteligente de reflexos e aplicação de cone para emocionar silhuetas.

O Spectre está disponível para comissão imediatamente, com as primeiras entregas do cliente começando no quarto trimestre de 2023. Os preços do Specter serão posicionados entre Cullinan e Phantom.

Fonte: Press Rolls-Roycev

Revista Terras de São José • 89
Raio-X

2023, PRIMEIRO ATO

É fácil entender a importância dos ciclos

Até o corpo segue ritmos, processos que se repetem: sentir fome na hora do almoço e sono quando escurece, variações de disposição para o trabalho ou para o lazer.

Uma estrutura temporal orquestra nosso funcionamento de forma mais ou menos harmônica.

Valorizamos (e celebramos) essa característica cíclica – além de ser uma grande vantagem adaptativa, ajuda a trazer significado às coisas. Conseguimos antecipar eventos previsíveis e nos preparar para o que sabemos que vai acontecer. Parece simples, mas: “...essa outra minha existência que era mais profunda, era o que provavelmente me dava a segurança de quem tem sempre na cozinha uma chaleira em fogo baixo: para o que desse e viesse, eu teria a qualquer momento água fervendo”.

Partindo do ajuste das oscilações do corpo às do ambiente, da sincronização entre o ser vivo e a natureza, levamos esse modo de organização para o cotidiano.

Estações, rotinas, rituais, atos.

O final do ano é uma época que inspira a possibilidade de novos rumos.

Para todos, dos estudos sobre comportamento humano, desejo coragem para assumir o risco de construir bons vínculos. Desejo relacionamentos genuínos, a possibilidade de nos sentirmos conectados e termos bons laços afetivos. Espero que possamos usufruir “a contribuição milionária de todos os erros” para construir uma vida com cada vez mais significado.

Psiquiatra e Psicoterapeuta de Adultos | CRM 150078 I RQE 91752

anapalmafedermann | (11) 9.7484-0023

Da Vinci Medicina Integrada - Itu/SP: (11) 2429-8707

90
Ana Laura Palma Federmann
Publieditorial
Médica pela UNICAMP, especialista em Psiquiatria pelo Programa de Residência Médica da mesma instituição. Fez especialização em Psicoterapia pelo Instituto de Psiquiatria da FMUSP, onde é voluntária no Ambulatório de Transtorno de Estresse Pós-Traumático.

LOPES RUBI ITU PREZA PELO ATENDIMENTO PERSONALIZADO AO CLIENTE

Somado a isso, visualizaram que o atendimento personalizado e detalhista tem ganhado espaço no mercado, visto que o perfil do cliente mudou prezando por imóveis que garantam qualidade de vida e moradia. “A negociação hoje vai muito além do valor, é necessário conhecimento das principais necessidades do cliente e oferecer a ele o imóvel dos sonhos. Não é mais sobre uma casa para morar. É sobre espaços que tragam aconchego, ao mesmo tempo que proporcionam momentos únicos em família e confraternização entre amigos. Por isso, hoje temos a tendência de aquisição de casas multiuso de médio e alto padrão em condomínios fechados”.

Nos últimos anos também houve a migração dos grandes centros para o interior, com a possibilidade de casas maiores. “Por isso uma unidade da Lopes Rubi em Itu tem grande potencial. Afinal pela nossa região temos disponibilidade de imóveis que atendem essa demanda, servindo tanto para trabalho em home office quanto para lazer e descanso. Há uma grande busca por espaços atrativos, com área verde, espaço gourmet, entre outras opções capazes de mudar a vida dos moradores, deixando de lado as viagens ao trabalho e aproveitando o tempo extra em casa”.

Simplificar a jornada de compra venda e locação de imóveis. Esse é o objetivo da maior franquia imobiliária da América Latina que agora conta com uma unidade em Itu: a Lopes Rubi.

Com 86 anos no setor, é especialista em soluções em todos os segmentos, prestando assessoria a incorporadores, compradores e vendedores de imóveis novos e prontos.

A unidade de Itu, sob coordenação das empresárias Sidneia Lopes e Carolina Urner Capozzi, tem como proposta a inovação, oferecendo o que o cliente necessita nos segmentos médio e alto padrão. “A Lopes Rubi se baseia no amplo conhecimento dos imóveis. Desta forma, nos destacamos por oferecer a melhor solução ao cliente intermediando com excelência a negociação”, ressalta a gestão da Lopes Rubi.

O interesse das empresárias pelo ramo imobiliário já era nutrido há tempos. Pela amizade, afinidade e semelhança dos interesses resolveram concretizar o sonho trabalhando juntas. Ambas com profissões em ramos de certa forma ligados à atividade. Sidneia é advogada tendo em sua carreira serviços voltados ao setor imobiliário e Carolina, administradora de empresa e designer de interiores, que atua em obras, decorações e reformas. Assim decidiram pela aquisição de uma franquia Lopes.

Com o mercado aquecido, se destacar nesse cenário priorizando o cliente e lhe entregando imóveis com design inovador, tecnologia de ponta e qualidade de vida faz toda a diferença. “Somente com empenho é possível satisfazer, conquistar e fidelizar o cliente mais exigente”.

Imobiliária Lopes Rubi @lopesimoveis.rubi Avenida Prudente de Moraes, 536 Vila Nova - Itu/SP www.lopes.com.br

92
Publieditorial

GASTROPLASTIA ENDOSCÓPICA É ALTERNATIVA SEM CORTES PARA PACIENTES COM OBESIDADE

Qual a duração da Gastroplastia Endoscópica?

A gastroplastia endoscópica acontece em ambiente ambulatorial, após o paciente ser anestesiado, a técnica tem duração média de 60 minutos. Entre duas e quatro horas após o procedimento endoscópico, o paciente já está liberado para ir para casa.

Para quem a Gastroplastia Endoscópica é indicada?

- Pacientes que possuem indicação cirúrgica, mas não querem se submeter a uma cirurgia bariátrica;

- Pacientes que possuem alto risco de morte caso realizem uma cirurgia bariátrica;

- Pacientes com obesidade nos graus 1 (IMC entre 30 e 34,9 kg/m2) e 2 (IMC entre 35 e 39,9 kg/m2), com comorbidades associadas.

Outros benefícios tornam o procedimento mais vantajoso aos pacientes obesos:

Aobesidade é uma doença que abrange grande parte da população mundial.

De acordo com a Organização Mundial da Saúde (OMS), cerca de 2,3 bilhões de adultos em todo o mundo devem estar acima do peso até 2025. No Brasil, a obesidade aumentou 72% ao longo de 13 anos (entre 2006 e 2019). Os dados alarmantes fazem parte do Mapa da Obesidade, desenvolvido pela Associação Brasileira para o Estudo da Obesidade e Síndrome Metabólica (ABESO).

Combater o aumento de excesso de peso não é uma tarefa fácil, as intervenções cirúrgicas surgem como auxílio para quem tenta emagrecer e recuperar a saúde. Novas técnicas cirúrgicas e aperfeiçoamentos em procedimentos consolidados surgem como forma de solucionar o problema considerado o mal do século: a obesidade. Conheça a Gastroplastia Endoscópica, uma técnica cirúrgica minimamente invasiva, alternativa para pacientes com obesidade.

O que é a Gastroplastia Endoscópica?

A Gastroplastia Endoscópica, também conhecida como endossutura gástrica, é um procedimento minimamente invasivo cujo objetivo é reduzir o tamanho do estômago. Esta técnica, disponível há pouco mais de 5 anos no Brasil, é realizada por via endoscópica, na qual o médico endoscopista realiza suturas (costuras) no interior do estômago do paciente, com intuito de diminuir o seu volume.

- Técnica sem cortes e sem cicatrizes externas;

- Procedimento altamente eficaz para perda de peso;

- Redução de outras enfermidades relacionadas à obesidade, como diabetes, hipertensão e doenças do coração;

- Sem retirada de nenhuma parte do estômago;

- Menor tempo de internação;

- Procedimento de baixo risco e rápida recuperação pós-operatório;

- Pode ser revertido se houver orientação médica.

É importante que o paciente siga as recomendações indicadas pela equipe multidisciplinar responsável pelo tratamento. Realizar o pré e pós-operatórios com profissionais experientes e especializados, proporcionará uma recuperação rápida e com 100% de sucesso!

Conheçam a Clínica Mestieri, há 10 anos oferecendo atendimento de alta qualidade no tratamento clínico e cirúrgico da obesidade, doenças metabólicas e distúrbios do trato digestório.

Clínica Mestieri (11) 9.4167-4197 www.clinicamestieri.com.br clinicamestieri

94
Publieditorial
- (19)
Diplomata Office, Sala 1003, Av. dos Trabalhadores, 116, Vila Castelo Branco, Indaiatuba
- SP
98181-6645

PENSE NA SUA SAÚDE E PROTEJA-SE DO SOL

Oaumento das temperaturas exige cuidado, em especial dos idosos, e por isso acontece a campanha nacional de proteção e prevenção do câncer de pele, muito ocasionado pela incidência solar ao longo dos anos..

E para quem reside ou curte as Terras de São José aos finais de semana é sempre importante sair com bonés e chapeús, além do protetor solar e procurar aproveitar as trilhas arborizadas do residencial.

Com o slogan “Câncer de Pele é Coisa Séria”, a Sociedade Brasileira de Dermatologia realiza a campanha Dezembro

Laranja, que visa alertar a população sobre os riscos da doença e a importância da prevenção desde a infância.

A ação é organizada desde 2014 e em 2022, seu slogan é “Não espere até sentir na pele”. A proposta é levar conhecimento e cuidado aos trabalhadores de áreas rurais e/ou que ficam expostos aos raios solares diariamente em virtude de suas profissões e no lazer. Consequentemente, foca também em pessoas que frequentam praias, cachoeiras, piscinas ou que estão constantemente em áreas ao ar livre.

98 Saúde

Em 2019 – ano em que foi realizada a última ação presencial – foram atendidas mais de 25 mil pessoas, em cerca de 130 postos, por todo o Brasil. Desde a sua implementação, em 1999, a iniciativa já beneficiou mais de 600 mil pessoas.

“A campanha de prevenção ao câncer da pele é fundamental e um pilar da SBD para podermos falar dessa doença que acomete milhares de pessoas, mas que ainda pouco se fala. Se pensarmos, então, em um País como o Brasil, que é tropical e onde diariamente as pessoas estão expostas aos raios solares, é preciso redobrar os cuidados e levar conhecimento para a população sobre todas as possibilidades de fotoproteção, como evitar horários de maior incidência de radiação ultravioleta, usar chapéus, camisetas, procurar sombras e utilizar os filtros solares”, explica Renato Bakos, coordenador do Departamento de Oncologia Cutânea da SBD e da campanha de 2022.

Acometimento – O câncer da pele responde por 33% de todos os diagnósticos desta doença no Brasil, sendo que o Instituto Nacional do Câncer (INCA) registra, a cada ano, cerca de 185 mil novos casos. O tipo mais comum, o câncer da pele não melanoma, tem letalidade baixa, porém seus números são muito altos.

A doença é provocada pelo crescimento anormal e descontrolado das células que compõem a pele. Essas células se dispõem formando camadas e, de acordo com as que forem afetadas, são definidos os diferentes tipos de câncer. Os mais comuns são os carcinomas basocelulares e os espinocelulares, responsáveis por 177 mil novos casos da doença por ano. Mais raro e letal que os carcinomas, o melanoma é o tipo mais agressivo de câncer da pele e registra 8,4 mil casos anualmente.

Números oficiais analisados pela SBD mostram que mais de 17 mil casos de câncer de pele deixaram de ser diagnosticados no auge da pandemia de covid-19. A situação afetou sobretudo a população que tem mais de 60 anos. O total de internações em decorrência da doença também caiu 26%, segundo informações do Sistema Único de Saúde (SUS).

Durante o ano de 2020, momento mais crítico da pandemia de covid-19, foram realizados 17.227 diagnósticos a menos dessa doença do que em 2019. Isso significa que o número absoluto de casos foi 24,7% menor do que no período anterior ao avanço do coronavírus.

Atenção aos sinais - O câncer da pele pode se assemelhar a pintas, eczemas ou outras lesões benignas. Assim, conhecer bem a pele e saber em quais regiões existem pintas, faz toda a diferença na hora de detectar qualquer irregularidade. So-

mente um exame clínico feito por um médico especializado ou uma biópsia podem diagnosticar o câncer da pele, mas é importante estar sempre atento aos seguintes sintomas:

-Uma lesão na pele de aparência elevada e brilhante, translúcida, avermelhada, castanha, rósea ou multicolorida, com crosta central e que sangra facilmente;

-Uma pinta preta ou castanha que muda sua cor, textura, torna-se irregular nas bordas e cresce de tamanho;

-Uma mancha ou ferida que não cicatriza, que continua a crescer apresentando coceira, crostas, erosões ou sangramento.

Além de todos os sinais e sintomas, melanomas metastáticos podem apresentar outros, que variam de acordo com a área para onde o câncer avançou. Isso pode incluir nódulos na pele, inchaço nos gânglios linfáticos, falta de ar ou tosse, dores abdominais e de cabeça, por exemplo.

Suporte completo – Vale ressaltar que em caso de intercorrências durante as atividades físicas, o condomínio também conta com a estrutura completa do Ambulatório Médico “Rodrigo Aliperti Casmamie”.

O espaço médico conta com sala de admissão com infraestrutura semelhante a uma UTI, com cardioversor, desfibrilador, foco cirúrgico, equipamento de assistência ventilatória, eletrocardiograma, monitores multiparamétricos, rede de oxigênio e ar comprimido, materiais para sutura e curativos, kits de imobilização, medicações orais e injetáveis de pronto-socorro e UTI. Caso necessário, o Ambulatório tem à disposição uma ambulância UTI preparada para a remoção do paciente para uma unidade hospitalar.

Saúde

a gripe com os moradores

pandemia da Covid-19 ainda aflige o país e com uma população com idade mais avançada nas Terras de São José, a administração em parceria com o Ambulatório Médico “Rodrigo Aliperti Casmamie”, gerenciado pela Medical Vip, dos médicos Dr. Marcos Chaves e Dr. João Queda, promoveu a vacinação contra a Influenza (vacina da gripe) para atender os moradores.

A

Para mais informações, os moradores

De acordo com o levantamento realizado pela administração, a equipe do Ambulatório ministrou aproximadamente 265 doses de vacinas contra a gripe (vacina quadrivalente - cepas 2021) e contra a pneumonia (vacina pneumo 13), em parceria com a Clínica de Vacinação Vacivitta.

Vale ressaltar que o Programa Nacional de Imunização – PNI prossegue em todo o país e teve início em junho a terceira fase da vacinação, direcionada para pessoas portadoras de doenças crônicas não transmissíveis e outras condições clínicas especiais, pessoas com deficiência permanente, forças de segurança, caminhoneiros, trabalhadores de transporte (de acordo com o Ministério da Saúde, motoristas de Uber não estão incluídos), funcionários do sistema prisional, adolescentes sob medidas socioeducativas e população privada de liberdade.

Em Itu, a vacina contra a gripe está sendo aplicada em todas as UBS (Unidades Básicas de Saúde) de Itu, exceto nos CAEC (do Centro e do Pirapitingui), sempre de segunda a sexta-feira, das 8 às 16 horas. É necessário levar um documento oficial de identificação e, se possível, a

vacina contra a covid-19 deve aguardar pelo menos 14 dias para poder tomar contra a gripe. Caso ainda não tenha tomado, mas está próximo, é importante que dê preferência para a vacina contra a covid-19. Depois de 14 dias, poderá receber a vacina contra a gripe. Além da campanha de vacinação, o Ambulatório Médico “Rodrigo Aliperti Casmamie” proporciona aos moradores e colaboradores todo o suporte médico desde 2016, sendo que durante a pandemia o espaço passou a ter funcionamento diferenciado aos finais de semana.

Para quem ainda não conhece, o ambulatório conta com sala de admissão com infraestrutura semelhante a uma UTI, com cardioversor, desfibrilador, foco cirúrgico, equipamento de assistência ventilatória, eletrocardiograma, monitores multiparamétricos, rede de oxigênio e ar comprimido, materiais para sutura e curativos, kits de imobilização, medicações orais e injetáveis de pronto-socorro e UTI. Caso necessário, o Ambulatório tem à disposição uma ambulância UTI preparada para a remoção do paciente para uma unidade hospitalar.

Para mais informações, os moradores devem contatar a equipe do ambulatório pelos telefones (11)4025-9230, (11) 4025-9227 e (11) 94701-4814. O Ambulatório Médico “Rodrigo Aliperti Casmamie” está localizado na Alameda Carolina, 552, Terras de São José I.

São José • 99 Saúde
Revista Terras de
devem contatar a equipe do ambulatório pelos telefones (11)4025-9230, (11) 4025-9227 e (11) 94701-4814. O Ambulatório Médico “Rodrigo Aliperti Casmamie” está localizado na Alameda Carolina, 552, Terras de São José I. Fonte: SBD / Ministério da Saúde Ambulatório Médico promoveu vacinação contra
carteirinha de vacinação.
Paralelamente à vacinação contra a gripe, a Prefeitura de Itu, por meio de sua Secretaria de Saúde, segue normalmente com a campanha de imunização ao Coronavírus. Entretanto, quem já tomou a

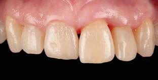
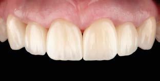
CLÍNICA ITALIANI SHIRATORI: TRANSFORMANDO SORRISOS COM PRECISÃO E AGILIDADE

Osorriso tem poder de aproximar as pessoas, contribuir com a felicidade e autoestima. Pesquisas comprovam que sorrir libera neuro-hormônios, tal como a endorfina que traz inúmeros benefícios para o corpo e a mente.

Mas como está o seu sorriso? Se sente confortável com a aparência de seus dentes? A preocupação com um sorriso belo e harmonioso tem aumentado na sociedade e a boa notícia é que a Odontologia conta com inúmeros recursos para

que tal objetivo seja alcançada. E melhor ainda: de forma rápida e precisa. Ir ao dentista não precisa e nem deve ser desesperador.

Hoje, através de equipamentos de ponta, o sorriso pode ser transformado em poucos ou até mesmo em um único dia. “Conseguimos oferecer aos nossos pacientes um tratamento de altíssima qualidade num tempo muito curto. Nossa clínica dispõe de toda a tecnologia digital existente no mercado, tal como escâner intraoral, impressora 3D, fresadora de cerâmica e laboratório próprio, o que resulta num tratamento bastante preciso e rápido”, pontua Dr. Fabio Kenji Shiratori.

Neste antes e depois perceba a diferença do sorriso totalmente natural.

Aponte a câmera do seu celular para o código QR e acompanhe nosso perfil no Instagram!

Clínica Italiani Shiratori (11) 4023-2202 | (11) 9.7838-6363 www.italianishiratoriodontologia.com

Rua Padre Bartolomeu Tadei, 534 - Bairro Alto - Itu/SP italianishiratori.odontologia

100
Publieditorial

BEM-ESTAR E REJUVENESCIMENTO COM SEGURANÇA

Otempo passa e tudo se transforma… A pele da face, principalmente, é uma das regiões que mais sofre com o efeito dos anos. Por isso, a busca de como rejuvenescer o rosto aumenta a cada dia nos consultórios médicos.

Para muitas mulheres, o envelhecimento pode ser motivo de diminuição da autoestima. Isso porque, as rugas começam a aparecer e a textura da pele não é mais a mesma desde a época da juventude. Nestes casos, é possível sim fazer procedimentos não cirúrgicos seguros, porém, é preciso escolher a melhor técnica para cada caso, tendo como aliado um profissional especializado em anatomia da face, que saiba os riscos e complicações de um preenchimento com ácido hialurônico e saiba tratar, caso tenha, alguma complicação.

Referência no segmento estético, a Dra. Agnes Nakano é dermatologista formada pela Faculdade de Medicina de Jundiaí, com Residência Médica em Dermatologia no Instituto Lauro de Souza Lima - Bauru/SP, e pós-graduada em cosmiatria na Faculdade de Medicina do ABC.

Agora em um novo espaço, mais amplo e estruturado voltado inteiramente aos cuidados da pele e cabelos, para atender melhor aos pacientes, localizado no Bairro Brasil, a Dra. Agnes pontua a importância de se consultar com um profissional médico com conhecimento no processo de envelhecimento, para se ter um rejuvenescimento harmônico, respeitando a estrutura facial de cada um, para se evitar as deformidades e desarmonias que cada vez estão ficando mais frequentes.

A especialista, que também soma estágio no ambulatório de Dermatologia da Universidade de Coimbra – Portugal e da Universidade da Pensilvânia – EUA.

Com atuação em diversos segmentos da dermatologia como clínica e oncológica, além de procedimentos estéticos como bioestimuladores de colágeno, intradermoterapia capilar, preenchimentos faciais, skinbooster, terapia percutânea de indução de colágeno e toxina botulínica, sempre com o auxílio da tecnologia com diferentes equipamentos como a Dermatoscopia Digital e Mapeamento Corporal, Laser Erbium, Laserterapia para alopecia, Luz intensa pulsada, Tricoscopia Capilar Digital e Ultrassom Microfocado.

102 Publieditorial
Dra. Agnes Nakano - Dermatologista CRM152017 | RQE 67067 (11) 4022-4514 | (11) 9.9273-1755 | Av. Belo Horizonte,330 - Bairro Brasil - Itu/SP agnes_nakano_dermatologista | www.agnesnakano.com.br Publieditorial
COM SEGURANÇA
Revista Terras de São José • 105 BLOCOS ESTRUTURAIS - CANALETAS - BLOCOS DE VEDAÇÃO BLOCOS ESTRUTURAIS 9 X1 9 X 39 11,5 X 19 X 39 14 X 19 X 29 14 X 19 X 39 19 X 19 X 39 BLOCOS DE VEDAÇÃO 9 X 19 X 19 9 X 19 X 29 11,5 X 14 X 24 11,5 X 19 X 29 14 X 19 X 29 14 X 19 X 39 19 X 19 X 29 19 X 19 X 39 9 X 19 X 29 11,5 X 14 X 24 11,5 X 19 X 29 14 X 19 X 29 19 X 19 X 29 CANALETAS TECNOLOGIA DE CLASSE MUNDIAL PRODUTOS CERTIFICADOS 11 4022-3784 | 11 4013-0990 | 11 98383-1253 Estrada do Jacú, s/n - Bairro Itaim - Itu/SP CEP: 13.310-220 | Cx. Postal 544 www.incargel.com.br FÁBRICA

PATAGÔNIA, PRONTOS PARA A VIAGEM?

Uma verdadeira experiência na divisa de dois países, Argentina e Chile. Você conhece a Patagônia?

Com paisagens magníficas, a região proporciona inúmeras atrações e imperdíveis para curtir com sozinho e com a família e de diferentes maneiras, pois poderá ter uma viagem radical como muitos esportes ou mais tranquila para apreciar a paisagem e a gastronomia.

Com um clima bastante seco em virtude das baixas temperaturas, diferente do que muitos imaginam e pouca incidência de chuva, a hidratação é fundamental nos passeios.

O apelido da Patagônia é a “Terra do fogo”, pois é o ponto mais ao sul das terras continentais e está há apenas alguns quilômetros do Polo Sul. A origem do nome vem dos incêndios que os nativos costumavam fazer para regular a temperatura do seu corpo.

E quando pensamos em uma viagem “fora da caixa” a Patagônia pode ser um destino ideal, pois em mundo totalmente tecnológico em alguns lugares pode não haver luz elétrica, como nos parques nacionais e seus acampamentos, além de locais sem conexão ao mundo virtual.

Outra curiosidade é saber que nesta região, nos meses de

verão, o dia pode ter até dezoito horas de luz, enquanto que no Inverno há apenas sete a oito horas de iluminação solar.

As possibilidades de modelo de turismo são inúmeras, que podem passar por Buenos Aires e Santiago do Chile, sem contar o Deserto do Atacama e a Ilha de Páscoa.

O território é atravessado de norte a sul por duas extensas rotas que em sua rota atravessam uma grande parte das principais atrações turísticas da região.

106 Hora de Viajar

Trata-se da Rota 3 e da Rota 40, duas espinhas dorsais que permitem que um circuito circular seja realizado em seu próprio veículo viajando de norte a sul ao longo de uma das rotas e na direção oposta na outra.

No verão, os dias são longos e você pode aproveitar mais o tempo, no inverno os dias são curtos, e algumas atividades não podem ser praticadas, mas é a época ideal para praticar atividades na neve como o tour mini trekking em El Calafate ou do offroad 4x4 em Ushuaia, além da observação das baleias na península Valdés em Puerto Madryn, também podendo passar por Punta Tombo com o Museu dos Dinossauros.

Localização e números – Formado pelas províncias de La Pampa, Neuquén, Río Negro, Chubut, Santa Cruz e Tierra del Fuego, com uma área de 930.731 km2 e uma população total de 2.037.545 pessoas, a Patagônia é uma região extrema: é a seção que fica mais ao sul da Cordilheira dos Andes, no extremo sul do nosso continente. Parte do território pertence à Argentina e a outra metade é de autoridades do Chile.

É limitada pelo Rio Colorado ao norte, e pelo estreito de Magalhães e a Terra do fogo ao sul, a cordilheira dos Andes a oeste e o oceano Atlântico a leste.

E para programar uma viagem para a Patagônia existem inúmeras agências de turismo especializadas no destino para proporcionar uma verdadeira experiência aos viajantes.

Revista Terras de São José • 107 Hora de Viajar

AS TRANSFORMAÇÕES DO TURISMO

Destinos como Maldivas, Dubai, Egito e México que permaneceram abertos e com protocolos mais simples para viajar também são destaques nas últimas temporadas de férias e, apesar de destinos tradicionais e consolidados, o agente de viagens consegue entregar ao viajante uma nova experiência no destino através de meios de hospedagens e atividades exclusivas.

Os últimos anos foram desafiadores para o mercado do turismo, com fronteiras sendo fechadas e o aumento na burocracia e protocolos rigorosos para o deslocamento das pessoas pelo mundo todo.

Esse cenário fortaleceu o trabalho e a necessidade de um agente de viagens para desenrolar todas essas etapas e apresentar as alternativas viáveis para realizar a viagem de férias, lazer ou até mesmo negócios, que não podem parar.

No turismo doméstico, a busca por experiências ao ar livre, ecoturismo e glamping se tornaram grande foco dos viajantes, seja para descanso e lazer ou até mesmo para trabalhar remotamente em novos ares.

O Parador Casa da Montanha em Cambará do Sul/RS (foto) localizado na parte alta dos canyons da região oferece a opção de hospedagens em Casulos com design arrojado que mesclam linhas contemporâneas com detalhes rústicos, deck com hidromassagem e lareira com total privacidade e integração com a natureza.

Uma nova experiência em Cancun. Projetado pelo arquiteto Jean-Michel Gathy e finalizado pelo design de interiores Alejandro Escudero, o Nizuc (foto) entrega através de sua arquitetura um luxo muito natural, sem excessos e naturalmente elegante. A composição combina materiais naturais com hieróglifos maias aplicados através de uma parceria com o Museu Nacional de Antropologia.

Nas Maldivas um dos destaques foi a rede Siyam World Maldives que proporciona tudo que o viajante brasileiro procurou: acomodações exclusivas com espaço ao ar livre, sistema all inclusive e facilidade para chegar ao resort nesse destino com mais de 1100 ilhas.

Essas experiências podem ser facilitadas através de um de nossos agentes de viagens personalizados.

A Santoro Viagens atende com horário agendado em sua residência e no escritório.

Santoro

Avenida Galileu Bicudo, 562 - Itu/SP santoroviagens | @santoroviagens www.santoroviagens.com.br

108
Publieditorial
Viagens (11) 9.1021-7003
25 DE DEZEMBRO NATAL PASS R$ 520,00 P O R P E S S O A * v a l o r e s s u j e i t o s a a l t e r a ç ã o , c o n s u l t e d i s p o n i b i l i d a d e . (11) 2118-1400 reservasnovotelitu @accor.com FAÇA A SUA RESERVA UM DIA DE NATAL INESQUECÍVEL NO NOVOTEL ITU A L M O Ç O E S P E C I A L D E N A T A L

SOLUÇÕES INOVADORAS COM AMANDA MATARAZZO

Com linguagem clean, atemporal e contemporânea, Amanda Matarazzo Arquitetura de Interiores preza pela busca de soluções inovadores a fim de construir sonhos transformando ambientes.

Comandado pela arquiteta Amanda Matarazzo, com graduação pela Universidade de Sorocaba, o escritório, criado em 2014, inicialmente com projetos de decoração, hoje é especializado nos segmentos de Arquitetura residencial, comercial e corporativa, se tornando referência na região.

Os resultados únicos e personalizados de acordo com cada cliente são alcançados pelo compartilhamento de conhecimento da equipe formada por profissionais de arquitetura e design. Cada etapa do processo criativo é abordada profundamente desde o briefing até o detalhamento, a fim de que o projeto executado seja fiel ao estudo.

Amanda Matarazzo – Arquitetura de Interiores (15) 9.9135-3338

Rua Barão de Piratininga, 106 - Jardim Faculdade Sorocaba/SP

www.amandamatarazzo.com amandamatarazzointeriores amandamatarazzointeriores

110
Publieditorial
Nathália Boletta

A Fabrispuma deseja a todos um Feliz Natal!

Revista
de São José • 111
Terras

ETERNIZANDO MOMENTOS ESPECIAIS

ETERNIZANDO

e acessível a todos. Na Fotografia, por exemplo, a imagem vai muito além do que o momento de sua captação e se torna fantástica quando se revela no papel. Há que se ter um olhar apurado, entendendo a sua essência e como ela será exposta. Aliar tecnologia, aumentando a longevidade de uma bela imagem, é um dos diferenciais do desenvolvimento de meu trabalho”.

Especialista em fotografia conceitual e autoral, sempre com uma história exclusiva por trás de cada clique, Patrícia também tem uma parceria especial com o artista plástico Jeffer Zion, unindo seus registros fotográficos à delicadeza e sofisticação da pintura na mesma imagem.

Abusca pelo bem-estar e contato com a natureza se tornou uma prioridade para inúmeras famílias recém chegada da capital paulista, principalmente em virtude da pandemia que assolou o mundo desde 2020. Porém, tudo indica que essa tendência se manterá, pois a tranquilidade, o espaço e o conforto, aliados à exclusividade da vida no interior, cativaram esse novo público de alto padrão.

Um bom exemplo disso é o boom imobiliário visto em condomínios de alto padrão em todo o interior de São Paulo, como nas Terras de São José, referência de condomínio premium.

E para proporcionar esse ambiente ainda mais acolhedor, a busca por peças únicas na decoração também ganhou novo status, valorizando o trabalho impecável da fotógrafa e empresária Patrícia Ottoni, que coordena a Ottoni Galeria.

“Hoje posso dizer que a Fotografia é um projeto de vida. Sempre acreditei que a arte deve ser amplamente divulgada

Abusca pelo bem-estar e tornou uma prioridade para chegada da capital paulista, tude da pandemia que assolou o tudo indica que essa tendência se dade, o espaço e o conforto, aliados no interior, cativaram esse novo Um bom exemplo disso é o boom condomínios de alto padrão em Paulo, como nas Terras de São mínio premium.

E para proporcionar esse ambiente busca por peças únicas na decoração status, valorizando o trabalho impecável presária Patrícia Ottoni, que coordena

A proposta da Ottoni Galeria reforça a ideia de que a imagem impressa em papel pode trazer um universo subjetivo ou simplesmente o registro do que vemos, podendo eternizar essa fatia do tempo!

A exclusividade das imagens e a qualidade do material apresentado ao cliente são diferenciais. “As imagens são de alta qualidade, podendo ser transformadas em peças gigantescas, como também menores. Dessa forma, temos a possibilidade de formatar a fotografia em qualquer tamanho, de acordo com a necessidade do cliente. Trabalhamos com tiragens limitadas e com certificações onde o selo acompanha a imagem garantindo a autenticidade.

Ottoni Galeria (11) 9.9219-7107 ottonigaleria

“Hoje posso dizer que a Fotografia Sempre acreditei que a arte deve

Revista
de São José • 113
Terras
Publieditorial
Publieditorial
A C l í n i c a A y r e s d e s e j a a t o d o s P a c i e n t e s e C o l a b o r a d o r e s u m F e l i z N a t a l e u m p r ó s p e r o A n o N o v o ! Então é Natal!
Nossa especialidade é cuidar de você!

Dead Space

Em desenvolvimento pelo estúdio Motive Studio, da Electronic Arts, o remake de Dead Space promete ser uma versão aprimorada e expandida do jogo de 2008, com jogabilidade repaginada, gráficos modernizados e até áudio atualizado.

Data de lançamento: 27 de janeiro

Plataformas: PlayStation 5, Xbox Series X|S, PC

Dead Island 2

Ninguém esperava, mas 2023 terá Dead Island 2! Após oito anos em desenvolvimento e várias trocas de estúdio, o jogo finalmente será lançado e pretende entregar muita pancadaria contra mortos-vivos e humor ácido.

Data de lançamento: 3 de fevereiro

Plataformas: PlayStation 4, PlayStation 5, Xbox One, Xbox Series X|S, PC

Hogwarts Legacy

Hogwarts Legacy é um RPG que se passa no universo de Harry Potter (antes dos livros) e colocará o jogador como um estudante de Hogwarts, contando com aulas de magia, embates entre as Casas e lutas com varinha.

Data de lançamento: 10 de fevereiro Plataformas: PlayStation 4, PlayStation 5, Xbox One, Xbox Series X|S, PC

Resident Evil 4

O remake de Resident Evil 4 está sendo desenvolvido com o motor gráfico RE Engine e terá câmera em terceira pessoa, gráficos atualizados e jogabilidade mais moderna. Ainda não se sabe se mudanças serão feitas na história, mas por aqui já torcemos para a Capcom manter as cenas cafonas!

Data de lançamento: 24 de março

Plataformas: PlayStation 5, Xbox Series X|S, PC

Skull and Bones

Um dos projetos mais aguardados da Ubisoft, Skull and Bones é um jogo multiplayer de mundo aberto com temática de pirata, que colocará os jogadores para se enfrentarem com navios de combate em alto mar.

Data de lançamento: 9 de março Plataformas: PlayStation 5, Xbox Series X|S, PC

118 Tech Games

ATENTE-SE AOS PRAZOS E MULTAS DO ESOCIAL - SST

ENVIO DOS EVENTOS DE SST - SEGURANÇA E SAÚDE NO TRABALHO

A obrigatoriedade dos eventos de SST do eSocial teve início no dia 13 de Outubro (2021), É obrigatório hoje para empresas com faturamento anual superior a R$ 78 milhões; entidades empresariais com faturamento no ano de 2016 de até R$ 78 milhões e que não sejam optantes pelo Simples Nacional; empregadores optantes pelo Simples Nacional (pessoa físicaexceto doméstico), produtor rural PF e entidades sem fins lucrativos. E a partir de 01 de janeiro de 2023, órgãos públicos e organizações internacionais, também passará a enviar os eventos de SST no eSocial.

Os eventos de SST e seus prazos: S-2210 – Comunicação de Acidente de Trabalho - Enviar até primeiro dia útil após ocorrência ou, em caso de óbito, de imediato. S-2220 –Monitoramento da Saúde do Trabalhador - Enviar até o dia 15 do mês seguinte ao exame S-2240 – Condições Ambientais do Trabalho - Enviar até o dia 15 do mês seguinte ao início da obrigatoriedade dos eventos de SST ou do ingresso/admissão do trabalhador

É preciso se atentar sempre a qualidade das informações que estão sendo enviadas ao sistema do governo, pois o portal do eSocial aceita qualquer informação que for enviada a ele Por isso, nós da AMZ Empresarial elaboramos desde os laudos e avaliações até o lançamento das informações no sistema no formato exigido pelo governo.

Estamos preparados para auxiliar sua empresa no atendimento as exigências do eSocial. Saiba

MULTAS POR IRREGULARIDADE DO ENVIO SST - eSocial

R$ 1.212,00 a R$ 7.087,22

Falta do envio da Comunicação de Acidente de Trabalho - CAT no prazo de 24h

R$ 1.201,36 a R$ 3.494,50

Não realizar os exames médicos ocupacionais (ASO) ou realizar com atraso

R$ 636,17 a R$ 63.617,35

Falta do preenchimento e atualização do Perfil Profissiográfico PrevidenciárioPPP

R$ 1.436,53 a R$ 4.024,42

Deixar de elaborar o Programa de Controle Médico de Saúde Ocupacional - PCMSO

R$ 24.112,64 a R$ 241.126,88

Descumprimento do Laudo Técnico das Condições Ambientais do Trabalho - LTCAT

R$ 425,64 a R$ 42.563,99

Deixar de prestar informações ao eSocial na forma e prazo estabelecidos em norma

(11)
/ (11)
mais: www.amzempresarial.com.br
2729-0071
97192-0054
A MELHOR E MAIS VARIADA SELEÇÃO DE HORTIFRUTI VOCÊ SÓ ENCONTRA AQUI, NO QUITANDÃO! R. Paulo Eduardo Xavier de Tolêdo, 511 São Luiz, Itu - SP (11) 99731-8491 @quitandãoitu Faça o seu Receba sua feirinha no conforto da sua casa! lendo o QR code PEDIDO FORNECENDO OS MELHORES PRODUTOS AOS NOSSOS CLIENTES. 31 anos de tradição, #VEMPROQUITANDAO

EMPREENDER NO MERCADO IMOBILIÁRIO

Como se tornar corretor de imóveis de sucesso?

lho é centrado nas pessoas.

Afinal além de atender os clientes, os corretores também realizam a assessoria completa na compra, venda e locação de imóveis. Atualmente o profissional auxilia em questões contratuais ou informações de financiamento, sendo fundamental o entendimento do mercado imobiliário, leis, novidades e informações de financiamento e crédito.

Para seguir carreira, existe alguns passos importantes. Que são eles:

· Escolha um nicho de trabalho e foque nele: Para se tornar um especialista imobiliário é preciso entender o produto, focar no público- alvo e conhecer a fundo a região. Atuar em um nicho específico do mercado demonstra mais conhecimento, segurança e credibilidade aos seus clientes;

· Estude técnicas de negociação e fechamentos: um corretor de sucesso jamais deixa de se especializar e de se atualizar sobre as mudanças do mercado;

· Dê retorno: jamais deixe de fazer follow-up. Não seja um agente secreto, erro comum entre os corretores;

· Entenda sobre pessoas: estude sobre comportamento humano, afinal hoje nosso mercado é sobre relações. Compreenda a fundo seu cliente comprador e proprietário.

Para ser um corretor de imóveis é necessário ser maior de 18 anos e ter ensino médio completo. A profissão é regulamentada pela Lei Federal nº 6.530/78, que estabelece a necessidade de cursar o Técnico em Transações Imobiliárias – TTI ou ter diploma de curso superior de Sequencial e Tecnológico de Ciências Imobiliárias ou de Gestão de Negócios Imobiliários, além de se inscrever no CRECI do seu respectivo estado.

Não há restrições de gênero, sexo ou idade máxima. Muitos profissionais estão migrando para a profissão devido a todas as vantagens que ela proporciona.

Ter flexibilidade de horários é um grande atrativo, assim como também a grande potencial de renda e diversas possibilidades de públicos na carreira. Para quem deseja empreender, a corretagem tem sido bastante vantajosa ao também dar oportunidade de estudo e realização de sonhos. O traba-

Não existe fórmula mágica para se ter uma carreira de sucesso. Basta repetir diariamente os pontos aqui abordados. Nós da RE/MAX acreditamos na forte demanda do mercado. Se temos produtos de qualidade e corretamente precificados certamente serão vendidos. Nossos objetivos são os mesmos dos nossos clientes: vender no menor prazo e no melhor preço. Líder da franchising imobiliária mundial, a RE/MAX foi fundada em Denver, no Estado do Colorado (USA), desde então o crescimento tem sido exponencial.

Hoje, a RE/MAX é a maior rede de franquias imobiliárias em números de transações no mundo, com mais de 9 mil agências e mais de 144 mil corretores à sua disposição. No Brasil desde 2009 já possui mais de 500 franquias em todo o território nacional.

RE/MAX Elite Group Itu

(11)4013-5136 | (11) 97401-5954

Praça Duque de Caxias, 99 - Centro - Itu/SP remaxelitegroupitu www.remaxelitegroup.com.br

128
Publieditorial
Ariane Brezolin | CRECI 210599-F

ABERTO GOCIL DO TERRAS DE SÃO JOSÉ GOLFE CLUBE

130 Social
Aconteceu no dia 22 de outubro o Aberto Gocil de Golfe das Terras de São José. Confira alguns momentos!
Fotos: Thais Pastor e Ricardo Fonseca

TORNEIO DE BEACH TENNIS

A Tennistime.br em parceria com a Sports e Cia organizou o primeiro torneio de Beach Tennis para as categorias infantis, masculino e feminino no novo complexo de quadras do Centro de Convivência.

132
Revista
de São José • 133
Terras
134 Cultura 27 e 28 de janeiro Allianz Parque - São Paulo Backstreet Boys 20 e 21 de janeiro Espaço Unimed - São Paulo Emicida Turnê AmarElo 14 de janeiro Vibra São Paulo Roupa Nova - DVD 40 anos 25 de janeiro Memorial da América Latina - SP Pagode do Péricles
nucleotcm

Turn static files into dynamic content formats.

Create a flipbook
Issuu converts static files into: digital portfolios, online yearbooks, online catalogs, digital photo albums and more. Sign up and create your flipbook.
Revista Terras - Edição 19 by Revista Terras de São José - Issuu