PZ20_13.10.2022

Page 55

Sonderthemen IT-Lösungen & Home Office Hochzeitsfotos 2022 Ausgabe 20/2022 Wirklich net letz! Joe, der Film im Pustertal Beten für den FriedenAbsolut in Form Reinhold Stoll Dekan Josef Knapp Christoph Rainer Die Partizipation als Königsweg? BRUNECK, 13. Oktober 2022, JG. 34, NR. 20-846/2022 erscheint 14-tägig, EZLNR. 0,77 EUROPoste Italiane SpAVersand im Postabonnementges. Dekr. 353/2003 (abg. in Ges. 27/02/2004 Nr. 46) Art. 1, Komma 1, NE BOZEN, ISSN 2532-2567
TIROLER VERSICHERUNG. Für’s Wohnen. Unsere Berater*innen ndest Du unter www.tiroler.it Immer vor Ort ... Vor Abschluss des Versicherungsvertrages bitte das Infoset auf www.tiroler.it lesen.

TITELTHEMA

„Joe der Film“: „Stay tunes“ und „Solbei“!

POLITIK & VERWALTUNG

Von der Destination zum Lebensraum: Partizipation als Königsweg?

MENSCHEN IM PORTRÄT

Reinhold Stoll: In Form 18

GESELLSCHAFT & MENSCHEN

Vier Pustertaler Bibliotheken punkten 22 Freiwillige Feuerwehr Mühlwald: Ein neues Tanklöschfahrzeug als Krönung 24

SONDERTHEMEN

Hochzeitsfotos 2022 25 IT-Lösungen & Home Office 69

WIRTSCHAFT & UMWELT

„start.klar“: Die Dialogreihe ist wieder am Start 30 Ahrntal: Der Weg ist das Ziel 34

VEREINE & VEREINSLEBEN

Interreligiöses Gebet: Beten für den Frieden 38 GESCHICHTE & HISTORIE

Mobilität: Die Erschließung vom Kronplatz 49

KULTUR & KUNST

Prettau: Der Ruf des Kupfers 50 Bergmesse Fadnstöckl: Eine besondere Tradition 52 BILDUNG & SCHULE

Herbst: Kompost und Düngung im Garten 55 Jugenddienst Bruneck und Regionalmanagement Pustertal: Grenzüberschreitende Zusammenarbeit 58 Fachschule in Dietenheim: Wichtiger Beitrag für die Almwirtschaft 62 SPORT & FREIZEIT

Bruneck: Ein echt tolles Kinderfest 66 Mountainbike-Landesmeisterschaft in Gsies: Der Nachwuchs überzeugt auf ganzer Linie 68

SERVICE

Kreuzworträtsel 79 Kinderrätselspaß 80 Kleinanzeiger 81 Veranstaltungen 86

IMPRESSUM

Sitz,

- Oberragen 18, 39031 Bruneck, Im PT-Abo vert. ROC-Nummer: 2717, ISSN 2532-2567 Mitglied der USPI (Unione Stampa Periodica Italiana) Druck: Fotolito Varesco, Nationalstraße 57, Auer - hergestellt aus Papier von UPM, das mit dem EU-Umweltzeichen Reg.-Nr. FI/011/001 ausgezeichnet ist.

Ihre personenbezogenen Daten werden gemäß dem G.v.D. Nr. 196/2003, der EU-Verordnung 679/2016 (DSGVO) sowie dem G.v.D. Nr. 101/2018 verarbeitet. Die vollständige Aufklärung über die Verarbeitung Ihrer personenbezogener Daten und Ihre Rechte, wie z.B. das Recht auf Löschung, sind auf unserer Web site veröffentlicht: www.pz-media.it/datenschutz.html. Falls Sie die Puster taler Zeitung nicht mehr erhalten möchten, schreiben Sie uns dies einfach an folgende E-Mail Adresse: info@pz-media.it oder rufen Sie an: 0474 550830

ENERGIE- UND PREISKRISE

Die Energie- und Preiskrise ist derzeit in aller Munde. Die Menschen ächzen unter der zunehmenden Last. Alle sind davon betroffen. Die Energiekrise hat mittlerwei le die Wirtschaftstreibenden – und zwar aller Größenordnungen – erfasst. Ganz besonders betroffen sind auch die Industriebetriebe, die im Pustertal ebenfalls eine bedeutende Rolle einnehmen. Nicht von ungefähr: Denn diese Unternehmen erwirtschaften immerhin gut ein Viertel des gesamten Südtiroler Bruttoinlands produktes (BIP), sind Arbeitgeber für mehr als 50.000 Menschen auf Landesebe ne, schaffen 85 Prozent des Exports und sind für mehr als 70 Prozent der Inves titionen in Forschung und Entwicklung in Südtirol verantwortlich. Insofern ist klar, dass die Alarmglocken schrillen, wenn auch im Industriesektor das Fieber thermometer in die Höhe schnellt.

Die Krise ist jedenfalls angekommen. Dieser Tatsache kann sich niemand mehr verschließen. Zudem riskiert unser Land durch die Teuerungen auf nationaler und internationaler Ebene die Wettbewerbsfähigkeit stark einzubüßen. Das be trifft vor allem das Pustertal. Die Auswirkungen wären fatal. Der Olanger Unter nehmer Markus Kofler, der Vizepräsident des Unternehmerverbandes, hat in eindringlichen Worten davor gewarnt, dass die heimische Industrieproduktion ebenso wie die nationale und europäische in großer Gefahr schwebt. Er regte fol gerichtig die rasche Umsetzung von Maßnahmen auf lokaler, nationaler und euro päischer Ebene ein. Nur: Es braucht aber wirklich mehr Tempo!

Das gilt auch für die energetische und umwelttechnische Wende. Um die Preise auf dem Energiesektor dauerhaft zu stabilisieren und in den Griff zu bekommen, müssen vor allem die erneuerbaren Energien ausgebaut werden. Es braucht einen Energiemix, der rasch und umweltschonend umgesetzt werden kann. Vor allem das Potential der Photovoltaik muss noch viel stärker genutzt werden. Dabei dür fen wir auch vor der bislang verpönten Agrarphotovoltaik nicht zurückschrecken. Es ist wirklich an der Zeit, endlich klare Prioritäten zu setzen, damit die aktuel le Wirtschaftskrise, die ihre Auswirkungen mit voller Wucht erst noch entfalten wird, in ihren Auswirkungen abgemildert wird. Es braucht keine großen Sonn tagsreden und teure sowie hochgestochene Debatten über Nachhaltigkeitsstra tegien, sondern konkrete Taten – gerne auch in kleinen Schritten. Diese müssen in der Ausrichtung aber klar und in der Umsetzung wirkungsvoll sein. Dann wer den sie auch von den Menschen verstanden und ergo mitgetragen.

Die Preissteigerungen können nur im gemeinsamen Schulterschluss eingedämmt werden. Allerdings ist wichtig, dass vor allem auf die Schwächsten der Gesell schaft besonders geachtet wird. Nur so wird sich die aktuelle Energie-, Preis- und Wirtschaftskrise nicht zu einer veritablen Gesellschaftskrise entwickeln. Wenn wir das erreichen, dann werden wir auch aus dieser Krise wiederum gestärkt her vorkommen. Also: Packen wir es an!

3 INHALT & KOMMENTAR PZ 20 | 13. OKTOBER 2022
4
12
Redaktion und Verwaltung: Oberragen 18, 39031 Bruneck, Tel.: 0474 550 830, Fax: 0474 410 141 Internet: www.pz-media.it Email: info@pz-media.it · Egtr. Trib. BZ Nr. 23/89 v. 2.10.1989 Erscheinung: 14-täglich; Verantw. Direktor: Reinhard Weger (Chefred.) Sekretariat: Michaela Huber; Akquisition: Hans Paulmichl, Josef Tasser Redaktion: Reinhard Weger, Dr. Willy Pöder, Dr. Judith Steinmair, Dr. Verena Duregger, Monika Gruber, Barbara Pöder, Dr. Johann Passler, Dominik Faller, Alexander Dariz, Dr. Egon Mair, Dr. Rudolf Gruber, Dr. Josef Willeit, Margareth Berger; Grafik: Andreas Rauchegger, Kerstin Voigt; Herausgeber: Pustertaler Medien GmbH

„Stay tunes“ und „Solbei“!

Seit Anfang Oktober tourt der Kinofilm „Joe der Film“ nun durch Südtirol und hat einen RiesenHype ausgelöst. 90 Minuten, vollgespickt mit Gags und Auftritten von manch Bühnenfiguren, die hierzulande mittlerweile echten Kultstatus haben. Zweifelsohne, dem Publikum gefällt‘s! Eine reine Südtirol-Produktion, mit welcher dem Team rund um Thomas Hochkofler und seiner Figur „Joe von Afing“ ein echter Clou geglückt ist – mit Pustertaler Bezug. Die PZ war mit dabei.

An über 20 Abenden wird „Joe der Film“ in den Kino- und Veranstal tungssälen des Landes derzeit ge zeigt. Die Idee dahinter ist es, den Film un mittelbar zu den Menschen zu bringen, so wie es auch die bisherigen Kabarett-Pro duktionen mit „Joe von Afing“, dem „Mot schuner Peppm“ oder „Kevin Kostner“ ta ten, allesamt Figuren, die auf eine breite Fan-Basis blicken und im Spielfilm nun ihr Kino-Debüt geben. Und die Rechnung geht sich auf. Nach Bekanntgabe der Ter mine im Rahmen der sogenannten „Road tour“ waren die Vorstellungen fast durch

wegs sofort ausverkauft. Über 13.000 Tickets wurden bereits im Vorverkauf an die Südti roler Fans gebracht, eine unfassbare Zahl in Zeiten von (Post-)Corona, in denen sich der Kartenverkauf häufig eher spontan anmu tet und sich an die Abendkassa verlagert. Wer bisher noch keine der begehrten Ein trittskarten ergattert hat, braucht sich aber nicht zu grämen, ab 4. November 2022 kommt der Film dann nämlich in die Kinos, wo der Vorverkauf übrigens – so Thomas Hochkofler gegenüber der PZ – ebenfalls schon gut anläuft. Jackpot!

LOW BUDGET – HIGH QUALITY

Dabei hat alles eher bescheiden angefangen. Wenn man in Film-Dimensionen spricht. Ein überschaubares Budget, lediglich 24 Filmta ge im vergangenen Mai und ein enger Zeit plan auch für die Postproduktion, sprich, um den Film innerhalb September auf die Leinwand zu bringen. Also eine Riesen-He rausforderung für die rund 30-köpfige Crew aus Südtirol.

Das Drehbuch stammt aus der Feder von Thomas Hochkofler und Robert Ausserer und ist nach Hochkoflers Kult-Rolle „Joe von

SOZIALES & GESUNDHEIT 4 TITELTHEMA PZ 20 | 13. OKTOBER 2022
„JOE DER FILM“
Die beiden Hauptakteure mit dem Brunecker Bürgermeister Roland Griessmair. rewe Joes legendärer Golf machte einen Abstecher in das Grüne Tal. Mit Argusaugen wurde darauf geachtet, dass ja kein Kratzer in den Lack gerät...

Afing“ benannt, der natürlich in die Hand lung verstrickt ist. Zudem führt Hochkofler nicht nur Regie, sondern ist auch in zwei weiteren Rollen als „Motschuner Peppm“ und als Mafioso Alfredo zu sehen. Eine wei tere Hauptrolle spielt Lukas Lobis, Hochkof lers langjähriger Bühnenfreund und den Südtirolerinnen und Südtirolern ebenfalls bestens bekannt, als Mafioso Pasquale und Kevin Kostner. Die Hauptbesetzung wird von der Südtiroler Schauspielerin Anna Unter berger abgerundet, die Joes Freundin Gäb bi mimt. Aber auch weitere bekannte Südti

roler Schauspielerinnen und Schauspieler sind mit an Bord, wie etwa Karin Verdor fer, Eva Kuen, Peter Schorn, Margot Mayr hofer, Georg Kaser, Katharina Gschnell, Liz Marmsoler oder Alexa Brunner – alles was Rang und Namen hat eben. Auch die Gast auftritte dürfen sich durchaus sehen lassen, mit Robert Palfrader, dem „Kaiser von Öster reich“ etwa, oder mit Sepp Messner Wind schnur, Max von Milland, DJ Narfos, Buo no Memes und Alt-Landeshauptmann Luis Durnwalder. Abseits des Casts wurde eben falls durchgängig auf Südtiroler Know-how

gesetzt, mit Lisa Maria Kerschbaumer als CoRegisseurin etwa, mit Marco Facchin für die Filmmusik oder Harald Erschbaumer für die Bildregie. Das Projekt wurde von der Bozner Produktionsfirma „mediaart“ mit Markus Frings als Produzenten realisiert, als Service Producer fungiert „albolina film“. Unterstützt wurde das Projekt vom Amt für Film und Medien des Kultur-Assessorates, der IDM Filmförderung und von zahlreichen privaten Investoren.

GEBALLTE EINHEIMISCHE KOMPETENZ

Also alles in Südtiroler Hand, und gedreht wurde auch (fast ausschließlich) in heimi schen Gefilden, in Partschins, in St. Pan kraz, in Sexten, im Sarntal, in Bozen, in Brixen, in Meran, in Branzoll und in Neu markt – die Ausnahme sind die Szenen am Strand der „Tenuta Primero“ in Grado.

ZUR HANDLUNG

Zu viel sei an dieser Stelle ja nicht verraten, sonst herrscht Spoiler-Gefahr… Zwei Mafio si werden nach Südtirol geschickt, um auch das Land der blauen Schürzen, das als letz te italienische Region noch nicht vom Clan des mächtigen Paten „Zio Terenzio“ kont rolliert wird, zu übernehmen. Dafür bekom men Alfredo und Pasquale eine Tasche vol ler Geld in die Hand gedrückt. Diese

SOZIALES & GESUNDHEIT 5 TITELTHEMA PZ 20 | 13. OKTOBER 2022
Begeisterte Zuschauende ließen sich die Vorstellung nicht entgehen. Den vielen Gästen hat es sichtlich gefallen. Die Familie Achammer als Testimonials der Hilfsaktion, die beim Moser umgesetzt wurde. Georg Oberhollenzer (Raika-Direktor) mit Gattin. Stadtrat Daniel Schönhuber (re) war auch dabei. Thomas Hochkofler und Lukas Lobis (links und rechts) mit den Fans. Das Autohaus Moser war bis zum letzten Platz gefüllt. Nicht nur die Platzkarten waren belegt, sondern sogar noch Stehplätze mussten vergeben werden.
>>

Tasche macht sich aber auf geheimnisvolle Art und Weise selbstständig. Nicht ganz un schuldig daran ist Joe von Afing. Alfredo und Pasquale machen sich auf die Suche nach ihrer Tasche – die Verfolgungsjagd beginnt! Und ein turbulentes Road Movie mit über raschenden Wendungen und witzigen Ver knüpfungen nimmt seinen Lauf…

TOUR-AUFTAKT IN BRUNECK

Die Südtirol-Premiere von „Joe der Film“ fand Ende September in der Spezialbier brauerei Forst in Algund statt. Der Auftakt zur Roadtour dann im Pustertal. Zunächst im Autohaus Moser, wohin Firmenchef Jo hannes Moser zu einer exklusiven Vor führung eingeladen hatte, ein gelungener Kinoabend, zu welchem sich an die 300 gela denen Gäste eingefunden hatten. Selbstver ständlich standen bei dieser Gelegenheit die beiden Hauptdarsteller des Films, Thomas Hochkofler und Lukas Lobis, für ein Meet & Greet zur Verfügung, und die Veranstal tung stand zudem auch im Zeichen eines guten Zwecks, konnten die Gäste doch für die Initiative „Nähe hilft heilen“ einen fi nanziellen Beitrag leisten. Eine besondere Hauptattraktion durfte im Autohaus Moser natürlich nicht fehlen, nämlich Joe’s legen

däres „Gölfl“, das gemeinsam mit Thomas Hochkofler eigens nach Bruneck angereist war. Ein weiterer Höhepunkt war die Ehrung und Verabschiedung in den verdienten Ru hestand des langjährigen Mitarbeiters El mar Hellweger. Er war sage und schreibe 43 Jahre lang bei der Familie Moser mit dabei. Firmenchef Johannes Moser und Seniorchef Franz Moser überreichten ihm und seiner Frau einen Gutschein für eine Reise. Mit der eigentlichen Roadtour des Films ging es dann im Jugend- und Kulturzentrum UFO

weiter. Zunächst nur auf eine einzige Vorfüh rung angelegt, die innerhalb kürzester Zeit ausverkauft war, entschieden sich die Ver antwortlichen dann für zwei weitere Vorfüh rungen am selben Tag, allesamt ebenfalls ausverkauft. Ein Samstag mit ausgelassener Kino-Atmosphäre, lachenden Zuschauerin nen und Zuschauern jeglichen Alters und vielen beseelten Fans.

Fazit: Prädikat – absolut sehenswert! Oder: „Net letz“, wie Joe sagen würde… //

PZ-Redakteurin Judith Steinmair hat ebenfalls ein paar Lachtränen verdrückt und sich einige Crew-Mitglieder für ein Interview geschnappt.

THOMAS HOCHKOFLER:

Schauspieler, Regisseur und Drehbuchautor des Films

PZ: Du prägst seit vielen Jahren die Theaterszene in Südtirol, als Schau spieler, Comedian, Regisseur. Das Genre „Film“ war aber auch für dich eine neue Erfahrung, oder? Gibt es Unterschiede, ob man auf der Bühne oder vor einer Kamera spielt?

Thomas Hochkofler: Im Prinzip handelt es sich einfach um unterschiedliche Herange hensweisen. Ein Filmprojekt erfordert we sentlich mehr Vorbereitung als ein Theater stück, dafür eröffnen sich einem aber auch

ganz andere Möglichkeiten, anhand von Bil dern Geschichten von Figuren zu erzählen. Will heißen, ich kann dem Publikum plas tisch zeigen, wie ich die Figuren sehe, wie beispielsweise das Schlafzimmer von Joe ausschaut oder sein Golf. Auf der Bühne ist das alles der Vorstellungskraft überlassen.

Deine Kult-Figur „Joe von Afing“ bildet das Grundgerüst und ist auch Namens geber für den Film – wie bzw. wann ist die Idee entstanden, aus der Bühnenfi gur einen Kinofilm zu machen? Irgendwie hat sich die Figur des Joe einfach dafür angeboten. Es hat sich in den vergan genen Jahren schon herauskristallisiert, dass dieser „kernige“ Südtiroler Typ quer durch die Generationen sehr gut beim Pu blikum ankommt. Die Idee, daraus eine Art Roadmovie zu machen, schwirrte mir also

schon lange im Kopf herum, und ich habe Robert Ausserer, meinen Organisator und Chauffeur bei den Kabarett-Touren, ständig damit genervt. Im Zuge der Coronazeit hat er mich dann beim Wort genommen: „Dann lass es uns jetzt schreiben Thom!“

Die Idee ist eines, konkret einen Kino film umzusetzen was anderes… Das Drehbuch hast du also auch selbst ge schrieben, gemeinsam mit Robert Aus serer, eine weitere neue Herausforde rung nehme ich an?

Wir haben quasi bei Null im stillen Käm merlein angefangen, und zunächst drei Ta ge lang nur Drehbücher gegoogelt… Dass da raus dann so ein Riesenprojekt wird, hat sich anfangs keiner gedacht. Es war alles ein we nig verrückt und schon sehr außergewöhn lich. Aber ich hatte ein Super-Team an mei

SOZIALES & GESUNDHEIT 6 TITELTHEMA PZ 20 | 13. OKTOBER 2022
Lukas Lobis, Judith Steinmair, Thomas Hochkofler und Gunther Niedermair beim Auftakt im UFO. Kinoatmosphäre mit Popcorn gehörte einfach dazu. Auch im großen Saal im UFO in Bruneck war alles drei Mal ausverkauft.

ner Seite, das mit Höchstleistung und mit Enthusiasmus am Projekt gearbeitet hat, so wohl während der Produktionszeit als auch in der Postproduktionszeit. Musik, Audio, Colour-Upgrading, Schnitt und die ganzen weiteren wichtigen Komponenten, die es für einen Film braucht, innerhalb eines so en gen Zeitrahmens auf den Punkt zu bringen, war schon eine enorme Herausforderung. Unser ehrgeiziges Ziel, den Film bis Septem ber fertig zu stellen, erschien völlig irrwitzig, dank des unermüdlichen Einsatzes aller Be teiligten, hat es aber geklappt!

Nun hast du also im Film quasi das Who is Who der Südtiroler Schauspie ler*innen um dich versammelt, nicht zuletzt natürlich deinen langjährigen (Bühnen)Freund Lukas Lobis - seit je her seid Ihr ein kongeniales Duo – ein paar Worte vielleicht dazu?

Lukas ist ja so was wie meine Ehefrau auf der Bühne. Er ist einfach ein wahnsinnig kreativer Kopf, der seine Rollen großartig spielt. Und nicht zuletzt liegt seine Qualität auch darin, die Machbarkeit eines Projekts im Auge zu behalten. Ohne ihn, wie auch ohne Markus Frings, wäre das alles in die ser Form sicherlich nicht umsetzbar gewe sen. Ein gutes Produkt ist nämlich eines, du musst es aber auch gut verkaufen können! Und so gesehen ergänzen Lukas und ich uns einfach immer hervorragend.

Nun ist Euer Film eingeschlagen wie eine Bombe, die Vorführungen im Rah men der Roadtour waren fast durchwegs sofort ausverkauft, erst nachher kommt der Film dann in die Kinos. Warum habt Ihr Euch für den Weg ent

schieden, zuerst durch Vereinshäuser u.ä. zu tingeln?

Wir wollten die Premieren zu den Menschen bringen, quer durch Südtirol und die ver schiedenen Städte und Dörfer und da jeweils auch persönlich vor Ort anwesend sein. Ab gesehen davon, dass mir die Nähe zum Pu blikum und damit auch ein unmittelbares Feedback seit jeher wichtig sind, soll die Ro adtour auch ein kleines Dankeschön an die Leute sein, die über die ganzen Jahre hinweg meine Kabarettprogramme besucht haben.

Und wie sind die Reaktionen nach den ersten Vorführungen?

Wir sind überwältigt! Ich freue mich riesig, da dieses Projekt für mich ein wahres Her zensanliegen war und ist. Zum einen, um unter Beweis zu stellen, dass wir in unserem Land sehr wohl das nötige Know-how haben, um so eine große Produktion erfolgreich auf die Beine zu stellen. Dieser falsche Provinz komplex im Bereich Theater und Film stört mich ja seit jeher. Ich habe mir die Besten der Besten aus Südtirol an die Seite geholt, und es ist eine runde Geschichte geworden, eine einheimische authentische Produktion, die offensichtlich ankommt. Zum anderen will ich mit dem Film auch mit dem Vorurteil aufräumen, dass es bei der Unterhaltungs branche reicht ein paar Witze zu erzählen, um die Gunst des Publikums zu gewinnen. Wir Profis wissen, dass nicht die Tragödie, sondern die Komödie die Königsklasse dar stellt. Das „Seichte“ wird ja oftmals belä chelt, aber im Grunde ist es ja so: Den Be griff „seicht“ verbindet man eigentlich nur mit Wasser, und Wasser ist lebensnotwen dig – Menschen zum Lachen zu bringen ist schwierig, aber wichtig!

MARKUS FRINGS: Journalist und Moderator, ist Produzent des Films

PZ: Als der Vorschlag im Raum stand, einen Südtiroler „Blödel-Film“ zu produzieren, warst du da sofort Feuer und Flamme?

Markus Frings: Thomas, Lukas und ich sind seit vielen Jahren befreundet und mit Ban Luis haben wir nicht nur viel Spaß gehabt, sondern auch viele Erfahrungen sammeln können. Der Film ist uns seit Jahren ein Her zensanliegen und wir haben lange darüber nachgedacht ob sich das überhaupt ausgeht, einen 90 Minuten langen Film zu produzie ren. Als sich im Vorjahr die Chance ergab, haben wir sie einfach ergriffen und dank des großartigen Teams, das wir für dieses Projekt gewinnen konnten, ist am Ende ein Traum für uns in Erfüllung gegangen.

Ein straffer Drehzeitplan, ein überschaubares Budget und mit Lukas Lo bis einen findigen Sponsorensucher mit im Boot – eigentlich der Traum für einen Produzenten?

Die Tatsache, dass so viele private Unterneh men beziehungsweise Sponsoren uns unter stützt haben, ist nach wie vor unglaublich für mich. Ich denke das hat auch damit zu tun, dass Lukas und Thomas mit ihren Kaba rettfiguren bereits viele Menschen erreichen konnten. Dazu kommt die Tatsache, dass wir einen 100-prozentigen „Südtiroler-Film“ produziert haben. Also von Südtirolern für Südtiroler:innen. Das klingt vielleicht etwas patriotisch, aber ich denke das macht auch den Reiz dieses Films aus.

Hand aufs Herz: Gehofft vermutlich ja, aber hättet Ihr erwartet, dass Euer Film einen solchen Hype hervorruft?

Dass der Film so viel Resonanz erfährt, ha ben wir uns wirklich nicht erwartet - wir sind einfach nur überrascht und sehr dankbar.

Fazit: Wir brauchen uns nicht zu verste cken als Südtiroler, wir können durch aus auch einen Hauch von Hollywood bieten, kann man das so sagen?

Unser Film ist eine Lowbudget-Produktion und mit wenig Mitteln einen 90 Minuten lan gen Kinofilm nur mit Südtirolern und von Südtirolerinnen und Südtiroler zu produzie ren eine Herausforderung. Ob „Joe der Film“ auch jenseits des Brenners und südlich

SOZIALES & GESUNDHEIT 7 TITELTHEMA PZ 20 | 13. OKTOBER 2022
Lukas Lobis, Thomas Hochkofler und Markus Frings (von links nach rechts) sind die wichtigsten Akteure des Films, der wohl Geschichte schreiben wird. Lukas Lobis, Thomas Hochkofler, Georg Kaser, Stefan Ghedina, Markus Frings und Thomas Rizzoli.
>>

von Salurn ankommt, wird sich zeigen. Ich glaube, dass der Film vor allem in Südtirol seine Fans haben wird.

STEFAN GHEDINA: der Brunecker Schauspieler zeichnet sich – neben seiner Rolle als Pfarrer – bei „Joe der Film“ für den Schnitt verantwortlich PZ: Du bist ja mittlerweile ein alter Ha se, sei es hinter der Kamera in der Pro duktion als auch auf der Bühne. Dieses Projekt hat dir die Gelegenheit gege ben, deiner Leidenschaft doppelt zu frönen, mit einer kleinen Rolle und als Verantwortlicher für den Schnitt –ein Jackpot?

Stefan Ghedina: Ja tatsächlich ist dieser Film für mich ein wahres Traumprojekt. Mit Markus und Tom habe ich in den vergange nen Jahren ja schon des Öfteren für Fernseh produktionen zusammengearbeitet, und als die Idee im Raum stand, in Südtirol einen Spielfilm zu machen, war für mich klar, dass ich all meine Energie in das Projekt stecken werde. Ich habe ja nicht nur als Schauspie ler langjährige Erfahrungen, sondern auch als Cutter für Dokumentarfilme und diverse Fernsehprogramme und Letztens auch als Produzent und Regisseur bei meinem Kurz filmdebüt, was mir bei diesem Projekt be sonders zu Gute kam.

Um uns als Laien auch mal die ver schiedenen Komponenten eines Films vor Augen zu führen – wie wichtig ist beispielsweise der Schnitt für einen Film? Wird diese Art von Arbeit vom Publikum überhaupt wahrgenommen? Natürlich erhält man von den Zuschauern zunächst Komplimente für die Rolle im Film, für die Figur, die sie auf der Leinwand sehen, in meinem Fall für die Rolle des Pfarrers, den ich auch sehr genossen habe zu spie len. Aber der weitaus wichtigere Beitrag zu

diesem Film ist, glaube ich, mein Part hin ter der Kamera. Der Schnitt ist einerseits ein Handwerk welches viel technisches Wissen voraussetzt, aber dann andererseits auch ein wichtiges kreatives Gestaltungsmittel, in enger Zusammenarbeit mit dem Regisseur. Erstens muss mit den anderen Departments der Postproduktion wie dem Sounddesigner, den VFX, dem Komponisten und dem Co loristen ein technischer Konsens gefunden werden, dass der Workflow gewährleistet ist. Aber dann kommt noch der spannende gestalterische Aspekt dazu, der die Drama turgie und die Geschwindigkeit eines Films extrem beeinflusst. Gerade bei einer Komö die ist es wichtig auf den Rhythmus zu ach ten, darauf, dass die Gags richtig positioniert sind, um sich entfalten zu können. Ebenso wichtig ist aber auch die Musik, in diesem Fall vom Komponisten Marco Facchin oder die Arbeit am Set des Director of Photogra phy, sprich des Bildregisseurs Harald Ersch baumer. All diese Faktoren haben einen we sentlichen Einfluss darauf, wie sich der Film am Ende anfühlt. Die gesamte Crew, jeder in seinem Bereich, trägt zum guten Gelingen eines Films bei.

Ganz allgemein war das Projekt eine enorme Herausforderung und sehr sportlich angelegt im Sinne des Zeit managements, oder?

Wir standen alle vor einer Mammutaufga be, auch ich. Die Filmlänge, die Detailver liebtheit haben schon einiges abverlangt. Mein Kompliment geht diesbezüglich auch an die Kolleg*innen für die großartige Arbeit in der Vorproduktion und am Dreh, fußend natürlich auf einem guten Drehbuch. Und um das zeitlich alles auf die Reihe zu be kommen, hat es sich bewährt, dass ich vom Drehanfang an vor Ort mit einem mobilen Schnitt und sukzessiv am Drehmaterial ge arbeitet und die Szenen grob zusammenge

stellt habe. Ansonsten wäre es mit dem gan zen Rohmaterial von etwa 25 Stunden Länge wohl mehr als eng geworden. Somit haben Tom und ich dann aber das Endergebnis in eigentlich unglaublichen zwei Wochen er arbeiten können – eine intensive, aber auch spannende und lustige Zusammenarbeit für die ich sehr dankbar bin. Also alles in allem eine unglaubliche Leistung, von allen, die technisch involviert waren. Ich habe sehr viel gelernt.

Und zufrieden mit dem Ergebnis?

Ich habe mir den Film zusammen mit mei ner Familie zum ersten Mal mit Publikum im UFO angesehen, und als dann die Zuschauer bereits beim ersten Szenenbild angefangen haben zu lachen, war ich fast ein wenig ge rührt, weil es einfach toll war mitzuerleben, wie nach der ganzen Arbeit, in die viel Herz blut geflossen ist, der Funke von der Lein wand überspringt. Alle Erwartungen und Wünsche wurden übertroffen, das ist wun derbar und bestätigt den Einsatz, den wir al le gezeigt haben – ein großes Geschenk für uns alle! // Interviews: Judith Steinmair

AUTOHAUS MOSER UND ELMAR HELLWEGER: NET LETZ!

Fast 300 geladene Gäste konnten sich Joe von Afing und seine Gäbbi, den Mot schuner Peppm und die beiden Mafio si Alfredo und Pasquale auf der großen Leinwand zu Gemüte führen. Kunden, Mitarbeiterinnen, Mitarbeiter und Freunde des Hauses fanden sich um 19.30 Uhr in der Kundenhalle des Autohauses ein.

Veggie-Burger, Getränke und Popcorn wurden den Gästen serviert. Den Start schuss des Comedy-Abends gab Johan nes Moser selbst – mit der offiziellen Begrüßung. Dabei dankte er nicht nur den zahlreichen Gästen, sondern nut ze die Möglichkeit auch, um ein herzli ches Dankeschön an seine Mitarbeiter

auszusprechen. Allen voran Elmar Hell weger, der sich nach 43 Jahren im Diens te des Autohauses nun in die Pension verabschiedet. Moser wäre aber nicht Moser, wenn es einen solchen Anlass nicht auch nutzen würde, um sich für einen guten Zweck zu engagieren. Die Gäste konnten für die Initiative „Nähe hilft heilen“ einen finanziellen Beitrag leisten. Auf den offiziellen Teil folgte schließlich das Vergnügen: Der 93-minü tige Kinostreifen strapazierte die Lach muskeln der Anwesenden und ließ sie einen Abend lang in die Welt von „Joe von Afing“ versinken. Zu Gast waren auch die Hauptdarsteller des Films, Tho mas Hochkofler und Lukas Lobis, die für

ein Meet & Greet zur Verfügung standen. Eine besondere Hauptattraktion konn te im Autohaus natürlich auch nicht feh len: Joe’s „Gölfl“, das gemeinsam mit Thomas Hochkofler eigens nach Bru neck reiste.

SOZIALES & GESUNDHEIT 8 TITELTHEMA PZ 20 | 13. OKTOBER 2022
// jm
Stefan Ghedina (Bruneck) wirkte stark mit.

BRÜCKENBAU IN DER ENDPHASE

Es war im November 2019, als außerge wöhnliche Niederschläge die Bahnstre cke zwischen Franzensfeste und Innichen an diversen Stellen, insgesamt sieben an der Zahl, durch umgestürzte Bäume, Stein schlag oder aufgrund von Erdrutschungen unpassierbar machten. Der Eisenbahnver

de noch rechtzeitig besei tigt werden, weshalb der Zugverkehr zwischen Bru neck und Innichen ab dem 13. Februar 2020 wieder um planmäßig verkehrte. Noch während der Winter monate war es gelungen, den talseitig der Gelei se weggebrochenen Hang unter Verwendung von Ga bionen, gefüllt mit wasser durchlässigem Gesteins material, aufzubauen und somit dem Schienenpaar eine sichere Auflage zu bieten. Das war al lerdings nur dank der konzertierten Aktion zwischen der STA (Südtiroler Transport strukturen AG), der Provinzverwaltung und der RFI (Rete Ferroviaria Italiana) möglich. Zur Geländesicherung wurden außerdem mehrere mächtige Betonsäulen bergseits in den Boden gerammt (Bild a.). Damit war das Provisorium, das die Züge seither anstandslos über die Bruchstelle hinweg trug, komplettiert. Allein die Lokführer wa ren angehalten, die behelfsmäßige Über

brückung des Grabens mit gedrosseltem Tempo zu nehmen. Diesem Zustand folgte eine Zeit der Tatenlosigkeit. Dann, im heu rigen Sommer, kehrte der Ingenieur an den Ort des Geschehens zurück, tauschte sei ne Business-Schnürer gegen Arbeitsschu he mit Profil und machte sich mit seinem Trupp an die Endfertigung des Brückenwer kes heran (Bild b.). Dieses ist mittlerwei le so weit gediehen, dass es schon in Bäl de seiner Bestimmung übergeben werden wird (Bild c.). // wp

kehr wurde deswegen auf der gesamten Strecke lahmgelegt: zwischen Franzensfeste und Bruneck in etwa einen Monat lang; zwischen Bruneck und Innichen sogar bis Mitte Fe bruar des folgenden Jahres. Dabei lag die absolute Pro blemstelle im Bereich „Ach mühle“ (Oberolang), wo die Wasser das Schienenbett in der Breite von mehreren Me tern unterspült und in der Fol ge am Hang talseitig einen Erdrutsch größeren Ausma ßes ausgelöst hatten. Diese gewaltige Schadensstel le konnte für den Beginn der Biathlon-WM in Antholz gera

Glockentürme & Wegkreuze

In Vergangenheit rief die Glocke zum Essen, Feierabend und zum Gebet. Heute dient der Glocken turm als Schmuckstück und Erinnerung an alte Tage. Das Handwerk ist fast ausgestor ben! Der alte Brauch sollte nicht in Vergessenheit geraten. Sie sind auch heute noch im Ahrntal erhältlich.

9 AKTUELLES PZ 20 | 13. OKTOBER 2022
Kontakt: Tel. 345 1719106 Anzeige a.) b.) c.)

FINSTERES UNTER DER SONNE

Ob Pandemie, Krieg, Putin oder sonstige Ursachen, Tat sache ist, dass die Produktpreise ganz allgemein, insbe sondere jedoch jene für Gas, Strom und Mineralöle wäh rend der letzten drei Jahre bis herauf zum heutigen Tag untragbar ausgeufert und lediglich durch Stützungszah lungen bzw. Entlastungen seitens des Staates wie auch der peripheren Verwaltungen (Regionen, Provinzen, Ge meinden) irgendwie bezahlbar geblieben sind.

Wie’s weitergeht, welche Lasten den Euro-Menschen noch ins Haus stehen, weiß in der Zeit der wiederauf blühenden Pandemie und dem parallel dazu andauern den Wirtschaftskrieg gegen Russland so genau natürlich niemand. Als Remedium wird einerseits Sparen und an dererseits die Nutzung alternativer Quellen angeregt. So larenergie, Wasser- und Windkraft sollen jetzt und umso mehr in der Zukunft die Rolle der fossilen Energieträger übernehmen und damit einen neuen Ordnungsrahmen

legenen Fußballplatzes aufzufangen und bis zu deren Einholung zu horten (Bild 1b.). Eine kolossale Fehlinvestition also, wofür sei tens des Auftraggebers, der Provinzverwaltung, sonderbarerwei se niemand jemals zur Verantwortung gezogen wurde. Ein Pfusch kommt eben selten allein. Nun, so war bei einer Zufallsbegegnung in der Gebäudeschlucht zwischen dem Realgymnasium und der Hotelfachschule, wo zur gegebenen Zeit gerade der Boden dazwischen neu gepflastert wur de (Bild 1c.), von einem ehemaligen Professor zu erfahren, dass das funktionslose Rohr- und Stangensystem mit Paneelen der neu esten Generation überdeckt werden wird. Zu Zeiten, wo jeder Kilo watt Goldes wert ist, eine zweifellos sinnvolle und begrüßenswer te Initiative. Auf dass es das künftige Solardach schaffen möge, die untaugliche Energiekappe wirkungsvoll zu überdecken, das Ärger nis den Blicken endlich zu entziehen und es definitiv der Verges senheit anheimfallen zu lassen.

schaffen, innerhalb dem sowohl der Einzelne als auch die Gesell schaft insgesamt den verloren gegangenen Handlungsspielraum wiederfinden kann.

Seit Jahren werden ganze Dächer mit sonnenhungrigen, zur Stromerzeugung tauglichen Paneelen eingedeckt (Bild 1a.). Das mag auch an der großzügigen Förderung alternativer Energie-Gewinnungssysteme liegen. Sinn macht’s allemal, so‘s Dach an Leistung dann auch das bringt, was im Voraus versprochen wurde. Das war nicht immer der Fall. Nicht in Bruneck jedenfalls, wo die Pro vinzverwaltung diesbezüglich schon vor einem Viertel jahrhundert Pionierarbeit geleistet hatte, damals näm lich, als sie das Dach der HOB-Turnhalle (heute WFO) mit einer mehr als 3-Milliarden-Lire teuren Photovolta ik-Anlage ausstattete. Man sprach zu jener Zeit von der größten Installation dieser Art europaweit. Und man war aufs Kollektorensystem solange mächtig stolz, bis sich herausstellte, dass das innovative Wunder werk gegenüber der ihm zugedachten Strahlenaufnahme und -verwertung unempfindlich war. Das Geflecht eignete sich lediglich dazu, die verschossenen Bälle des nahege

FAMILIENBERATUNG

Aufgrund einer technischen Umstellung der Telefone gab es in den letzten Wochen leider Schwierigkeiten mit der Erreichbar keit der Familienberatung „fabe“ in Bruneck. Das Team der fa be Bruneck möchte sich auf diesem Wege für die Unannehmlich keiten entschuldigen. Ab sofort ist die Familienberatung wieder

Übrigens: Auch das Dach der „Intercable-Arena“ soll angesichts der Energie-Teuerungswelle mit weiteren zusätzlichen Solarpanee len ausgestattet werden. // wp

zu folgenden Zeiten erreich bar: Montag bis Donnerstag von 10:00 bis 12:30 Uhr und Dienstag und Mittwoch von 15:00 bis 17:00 Uhr. //make

10 AKTUELLES PZ 20 | 13. OKTOBER 2022
1a.) 1b.) 1c.)

Die Sanierungsarbeiten am Fußballplatz in der Schulzone, welche die Gemeinde im Auftrag der Provinzverwaltung durchgeführt hat, sind mittlerweile abgeschlossen. Dem Spielfeld wurde ein Kunst

rasen erster Güte verpasst (Bild 3a.). Noch im Gange sind hingegen die Arbeiten im LA-Bereich und im Areal für diverse Ballspiele (Bild 3b.). Doch auch diese stre ben ihrem Ende entgegen (Bild 3c.). Bei Wiederbe ginn des Unterrichts nach den Ferien um Allerheili gen dürfte die gesamt An lage uneingeschränkt be nützbar sein. Das dies erst mit November der Fall sein wird, ist insofern bedau erlich, als dass die Schule ihren Betrieb schon am 5. September aufgenommen

3c.)

POLIZEIKOMMISSARIAT

Als vor einem halben Jahrzehnt am Nordring ein neuer Bau für die Unterbringung der Finanzwache und der Staatspoli zei, Abteilung Verkehrspolizei, errichtet und nach Fertig stellung von diesen Kräften auch bezogen wurde, war den Bürgerinnen und Bürgern des Pustertales zugleich die Ver legung des Polizeikommissariats von Innichen (siehe Foto) nach Bruneck in Aussicht gestellt worden. Daraus wurde nichts – gegen jede Logik! Denn fürs Tal wäre die Verle gung von beträchtlicher Wichtigkeit. Ein Kommissariat hat nun einmal ein ausgedehnteres Aufgabengebiet als eine pure Dienststelle der Verkehrspolizei wahrzunehmen, so beispielsweise die für die Menschen so wichtige Passport ausgabe. Bruneck, wo von Prettau im hintersten Ahrntal bis Kolfuschg in Hochabtei, von Mühlbach bis Winnebach alles, was Beine auf Rädern hat, zusammenfließt, wäre als Standort für den Kommissariats-Sitz der einzig richtige wohl. Es wäre schön, wenn sich die zuständigen Stellen (Regierungs kommissariat, Quästur) damit gedanklich tiefergehend befassen würden. Die Grenze, die seinerzeit einen höheren Polizeieinsatz gefordert haben mag, gibt es seit dem Eintritt Österreichs in den Schengen-Raum (1997) schon längst nicht mehr.

hatte, die Freiluftanlage wegen der laufenden Arbeiten den Schü lern über zwei Monate lang nicht zu Diensten stand. Die Kosten der Sanierung werden mit rund einer Million Euro (zzgl. IVA) be ziffert. Getragen werden sie von der Provinzverwaltung. // wp

Die Finanzwache hat daraus die Konsequenzen gezogen und allein in Bruneck das „Bezirkskommando Pustertal“ eingerichtet. Früher unterhielt sie ein zweites Kompanie-Kommando auch in Innichen. Die Carabinieri halten es heute noch so, obschon einst auch sie mit einem einzigen Bezirkskommando mit Sitz in Bruneck liebäugelt hatten.

11 AKTUELLES PZ 20 | 13. OKTOBER 2022
SCHULSPORT EINGESCHRÄNKT
// wp
3a.) 3b.)

Partizipation als Königsweg?

Landesentwicklung kann nicht ohne die Beteiligung der Bürger und die Berück sichtigung ihrer Ideen und Bedürfnisse geschehen, die in der Region leben und arbeiten. Vor allem im Tourismus hat sich gezeigt, dass die Akzeptanz der Bevölke rung von zentraler Bedeutung ist. Diesem Thema widmeten sich die 6. Sextner Ka mingespräche mit hochkarätigen Gästen aus Politik und Wirtschaft.

Landespolitiker, Bürgermeister, Unterneh mer, Tourismusexperten und Führungsper sönlichkeiten aller Sparten hatten sich nach drei Jahren Coronaabstinenz wieder in Sex ten versammelt, um über gesellschaftliche Veränderungsprozesse von aktueller Bri sanz zu diskutieren. Dementsprechend er freut über das große Interesse zeigte sich Christoph Rainer, der Präsident von Sexten Kultur und Organisator der Veranstaltung. „Das Thema Partizipation“, so Moderator Harald Pechlaner von Eurac Research, „be schäftigt uns in der aktuellen Diskussion in Südtirol vor dem Hintergrund des neu en Raumordnungsgesetzes – die einen sind zufrieden, die anderen frustriert und das beeinflusst nicht zuletzt die Gemeindeent wicklungskonzepte. Partizipation hat viel mit Demokratie zu tun, wissen wir doch, daß immer öfter große Projekte nicht ohne den Konsens einer breiten Bevölkerungsgruppe umgesetzt werden. Und schließlich geht es beim Thema der 6. Sextner Kamingespräche um Nachhaltigkeit, nämlich die Entwick lung unseres Lebensraumes im Allgemei nen für künftige Generationen. Darin ver birgt sich eine große Portion Verantwortung.

Jörg Sommer, Direktor des Berlin Institut für Partizipation und als Gutachter und Bera ter für Parlamente, Ministerien, Stiftungen und Verbände tätig, ging in seinem Impuls referat auf die Bedeutung von Partizipation und die sich daraus ergebenen Veränderun gen ein. „Der Beteiligungsprozess hat einen Wirkungsanspruch, dass sich am Ende et was verändert. Dies muß letztlich auch zu gelassen werden, sonst war die Partizipa tion ein ‚Feigenblatt‘.

MITGESTALTUNG UND MEHR… Mitgestaltung ist die erste Partizipationsstu fe. Partizipation wird angeboten mit unter schiedlichen Zielen, beispielsweise Akzep tanz, dass die Bürger etwas akzeptieren, oder dass Prozesse dadurch beschleunigt werden. Beteiligung kann Ergebnisse aber auch verbessern, da Erfahrungswerte von unmittelbar Betroffenen in die Entscheidung

eingeflossen sind. Und Partizipation macht eine Gesellschaft widerstandsfähiger - ge rade in derzeitigen Krisen wenngleich Kon flikte dadurch nicht lösbarer werden, aber sie werden sichtbar und diskutierbar. Auf jeden Fall bewirkt Bürgerbeteiligung eine Transformation, Stichwort Klimakrise - sie sorgt für dramatische Veränderungen. Sie ist aber die Chance, Dinge gemeinsam zu verändern, um Zukunft gemeinsam gestal ten zu können.

Auf die Frage welche Rolle spielt die Ju gend in diesem Partizipationsprozess äu ßerte sich die Geschäftsführerin im Südti roler Jugendring, Tanja Rainer: „Ich habe oft das Gefühl, dass den Jugendlichen hier zulande ein bisschen wenig zugetraut wird. Junge Menschen denken freier, vorurteilslo ser und zielorientierter. Sie lassen mehrere Lösungen zu und sind Experten auf ihrem Gebiet. Sie fühlen sich dadurch wahrgenom men und als wichtiger Teil der Gesellschaft. In Algund haben wir beispielsweise einen Grillplatz nach den Vorstellungen unserer Jugend umgesetzt, der quer durch die Ge nerationen, von Kindern bis zu den Groß eltern genutzt werden kann.

REGE DISKUSSION

„Es geht ums Wohlfühlen“ ist Josef Mar greiter, der Geschäftsführer der ‚Lebens raum Tirol Holding‘ überzeugt. „Tourismus kann nur in einem attraktiven Lebensraum stattfinden, wo die Jugend auch bleiben will, denn der größte Feind vom Erfolg, ist der Er folg. Die Tourismusverbände müssen zu Le bensraumverbänden werden. Das Wort Tou

12 POLITIK & VERWALTUNG PZ 20 | 13. OKTOBER 2022
VON DER DESTINATION ZUM LEBENSRAUM
Mark Winkler, Judith Rainer, Dieter Schramm und Christoph Rainer. Christian Tschurtschenthaler
Ein nettes Wiedersehen zum gebotenen Anlass... Christian Tschurtschenthaler

rismus ist zum Unwort geworden und verliert zunehmend an Akzeptanz.

Die eigenen Bedürfnisse haben zu genommen. Man soll sich gemeinsam um Dorfgestaltung, um Entfaltungs möglichkeiten der Dorfgemeinschaft kümmern. Die politischen Einheiten sind in ihrer Art zu träge, sie setzen nicht um. Man muß auf das Ganze schauen, denn man ist ja eine Ge meinschaft.“ So habe der Tourismus als übergreifender Wirtschaftszweig alle Hebel in der Hand, um parzitipatif ein wirken zu können und die Transformation sprich Veränderung voranzutreiben. „Weg vom Marketing nur für Gäste - hin zu den Bedürfnissen unseres Lebensraums“ so das Credo von Josef Margreiter.

Petra Wolffhardt ist Produkt- und Service entwicklerin von Raum/Schmiede Lienz und setzt Partizipation als Führungsinstrument ein. „Wichtig ist,“ sagt sie, „dass man nach Einbindung verschiedener lokaler Stakehol der schnell in die Umsetzung der geäußerten Vorschläge geht, ansonsten hat das einen Vertrauensverlust zur Folge, der die konst

ruktive Fortsetzung eines Partizipationspro zesses über Jahre zurückwirft.

Wir haben verstanden, dass es wichtig ist Räume zu schaffen wo eine offene Ge sprächskultur in der Gemeinde stattfin den kann. Wir haben einen ‚Popup-Raum Schmiede‘-Anhänger, mit dem wir mobil in die Orte fahren und wo die Leute zu uns kommen, und einzeln ihre Ideen, Anliegen, Wünsche äußern können und ihre Meinung kundtun. Ganz wichtig ist die Kommunika tion und Wertschätzung und eine rasche Umsetzung, damit die Leute merken, da passiert etwas.“

Thomas Bausch, Direktor des Kompetenz zentrums Tourismus und Mobilität an der freien Universität Bozen, lebt im Pustertal und ist überzeugt: „in dieser Diskussion geht es um Lebensqualität. Wenn Bürgerbeteili gung angestrebt wird, sollte man vorher ge nau überlegen, was letztlich machbar und umsetzbar ist, um nicht falsche Hoffnun gen zu wecken. Wir haben es am Beispiel Pragsertal ansatzweise versucht. Die Fra ge ist auch, wieviel Tourismus wollen wir, welche Rolle soll er für uns spielen? Hier braucht es die Meinung der Menschen vor Ort, denen bewusst sein muß, dass unser Wohlstand auch daher rührt.“ Sein Fazit: präzise formulieren und nichts versprechen, was später nicht eingehalten werden kann.

All diese Aussagen sorgten unter den rund einhundertfünfzig Gästen beim anschlie ßenden Dinner im gediegenen Ambiente des ansprechend umfunktionierten Kongress saales im Haus Sexten für rege Diskussio nen, taten aber auch neue Ideen für Wege der Partizipation und Zusammenarbeit auf.

13 POLITIK & VERWALTUNG PZ 20 | 13. OKTOBER 2022
Referentinnen, Referenten, Moderator und die Organisatoren auf einen Blick. Alle Fotos: Christian Tschurtschenthaler Die Herausforderungen der Zeit gemeinsam meistern. Zahlreiche Gäste, darunter viele Politiker, Unternehmer, Tourismusexperten und Führungspersonen waren mit dabei. Christian Tschurtschenthaler

REDEN WIR DARÜBER!

Suizide hat es in allen Kulturen zu allen Zei ten gegeben. Kaum vorstellbar, dass es gar nicht zu Suiziden kommt. Zahlreiche Stu dien zur Suizidprävention zeigen allerdings auf, dass Suizidraten beeinflussbar sind. So kann durch nationale Programme, regiona len Initiativen, durch lokale Projekte sowie

zwischenmenschliche Nähe und Achtsam keit die Anzahl der Suizide sinken. Tatsächlich gibt es in der Gesellschaft eine große Scheu vor dem Thema. Suizidalität ist ein persönliches, intimes und angstbe setztes Thema, über das kaum gesprochen wird. So wollen Menschen, die an Suizid

DAS PROGRAMM AM 16.10.2022

Tschurtschenthalerpark

• Begrüßungsworte durch den Bürger meister und den Vizebürgermeister;

• Einführung und Bedeutung des „Mit einandems“;

• Einführung des Symbols „Miteinan dem“ und kurzen Ablauf der Stationen;

Rathausplatz

• Tanz/Flash Mob der Shabba Crew;

Kapuzinerpark/Kapuzinerplatz

• Musik – Lied der Schulband der Hotel fachschule

MEIN HAUSTIER DER KÜRBIS

Pfarrplatz

• Zwiegespräch auf dem „Miteinandem“ über Vorurteile und Annahmen; • Mythen und Fakten in Bezug auf Suizid;

Die Themen der Stationen werden auf gegriffen und zusammengeführt und als Kabelbindernetz symbolisch dargestellt. Um 18.00 Uhr Abschlussgottesdienst in der Pfarrkirche mit dem Generalvikar. //

denken, ihre nahestehenden Personen oft nicht belasten. Eine Person, die in einer Kri se steckt, offen auf suizidale Gedanken an zusprechen, wird oft aufgrund der falschen Angst, nicht das Richtige zu sagen oder den anderen durch Nachfragen gar in die Selbst tötung zu treiben, vermieden. Angehörigen von Menschen, die durch Suizid verstorben sind, fehlen in ihrer Trauer oft anteilneh mende Gesprächspartner.

AKTION „GEMEINSAM UNTERWEGS“

In der Suizidprävention gilt der Satz „Bezie hung wirkt antisuizidal“. Wirksam ist Sui zidprävention überwiegend dort, wo Men schen miteinander in Beziehung stehen. Jeder Mensch, der Hilfe sucht, sollte un kompliziert und schnell qualifizierte Hilfe finden können.

Hierzu braucht es Unterstützung der ganzen Gesellschaft – von Institutionen, professio nellen Diensten, Politik und jedem einzel nen Menschen). Einen wichtigen Beitrag da zu leisten eine ganze Reihe an Akteuren am Sonntag, den 16.10.2022 ab 16 Uhr in Bruneck Unter dem Motto „Mitgehtragen“ werden Ge sprächsrunden und Aktionen geboten. Um 18 Uhr gibt es einen Abschlussgottesdienst mit Generalvikar Eugen Runggaldier in der Pfarrkirche. // rewe

Kürbisse sind ein klassisches Herbst– und Wintergemüse. Egal, ob Hokkaido, Butternut und Co - sie enthalten viele Vi tamine (vor allem A, C und E), sind reich an Ballast- und Mi neralstoffen (Magnesium, Kalium, Eisen, Zink). Auch Kürbis kerne kann man seinem Vierbeiner gut geben. Kürbiskerne unterstützen das Immunsystem und wirken sich daher posi tiv auf den Organismus des Hundes aus. Nebenbei sind sie auch noch ein natürliches Mittel gegen Parasiten, wie z. B. Würmer und können daher kurweise gut verabreicht werden.

Die meisten Hunde fressen Kürbisse sehr gerne und man kann sie roh, gekocht oder gebacken verfüttern. Aber Achtung – in großen Mengen kann Kürbis auch abführend wirken. Besonders praktisch und einfach in der Verarbeitung ist der Kür bis „Hokkaido“, da man ihn nicht schälen muss. Die Schale wird beim Kochen oder Dünsten weich und kann von unseren Vierbei nern problemlos mitgegessen werden.

Auf keinen Fall verfüttert werden dürfen Zierkürbisse an Hunde. Sie enthalten Curcurbitacine und sind giftig für den Hund. Gene rell kann man sagen: Kürbisse, die wir als Menschen essen dürfen, können auch von unseren Vierbeinern verspeist werden.

LECKERE KÜRBISSE

Du möchtest für Deinen Vierbeiner ein paar leckere Kürbis-Kekse machen. Hier ein schnelles Rezept. Man benötigt:

• 300 g Kürbis (am besten Hokkaido)

• 200 g Hühnchen oder auch eine andere Fleischsorte

1 Ei

• 100 g Buchweizenmehl (man kann aber auch jedes andere Mehl verwenden)

Der Teig ist sehr klebrig und lässt sich nicht ausstechen, daher ver wendet man zum Backen am besten kleine Silikonformen. Kürbis und Fleisch in Stücke schneiden und kochen. Sind beide weich, abkühlen lassen und im Mixer pürieren. Ei und Mehl unter die Masse rühren und dann in die Silokonformen füllen. Alternativ kann man auch mit einem Löf fel kleine Teigkleckse auf das Backblech geben (Backpapier in diesem Fall nicht vergessen).

Das Ganze wird dann bei Ober- und Unterhitze und 180 Grad für ca. 25 – 30 Minuten gebacken ... und schon sind die herbstlichen Kekse für Deinen Vierbei ner fertig.

14 SOZIALES & GESUNDHEIT PZ 20 | 13. OKTOBER 2022
SUIZIDE
HERBSTLICHES GEMÜSE

oder

Wie gefährlich sind Amalgam-Füllungen? „Muss ich die austauschen lassen?“ - Diese Frage bekommen Zahnärzte immer wieder gestellt. Kaum ein Thema verunsichert Patienten so sehr, wie das Thema Amalgam.

Das Füllungsmaterial besteht zur Hälfte aus Quecksilber. Der restliche Bestand teil ist ein Gemisch aus Silber, Kupfer, Zink und Zinn. Amalgam ist besonders vielseitig und sehr leicht zu verarbeiten. Aber: Bei empfindlichen Patienten kann es zu einer elektrochemischen Korro sion kommen, die sich mit einem metal lischen Geschmack bemerkbar macht. Dabei handelt es sich um eine mögliche Auflösungserscheinung der Zahnfüllung im Oberflächenbereich. Zusätzlich kann sich Amalgam auch erweitern – also ex pandieren. So schafft das Material Platz für Bakterien und wird brüchig und anfäl lig. Durch all das können kleine Quecksil berpartikel über den Verdauungsweg in den Körper gelangen und unterschied liche Krankheitssymptome hervorrufen.

Dann ist eine Amalgamsanierung not wendig. Im Rahmen einer individuell auf den Patienten abgestimmten Aus leitungstherapie lassen sich Amalgam füllungen entfernen und die weitere Auf nahme von Quecksilber in den Körper verhindern. Hierzu kommen spezielle Sauger und Schutzvorkehrungen zum Einsatz, die das Entfernen des Amal gams aus den Zähnen auf schonende und sichere Weise ermöglichen. Zusätz lich wird die Mundschleimhaut gereinigt. Um sicherzustellen, dass während der Entfernung kein Amalgam in die Mund höhle gelangt ist, wird eine spezielle Mundspülung verabreicht, die selbst kleinste Amalgampartikel bindet.

Im Anschluss wird der betroffene Zahn mit alternativem Füllungsmaterial ver sorgt. Hierfür stehen zahlreiche, gut ver trägliche zur Verfügung. Am beliebtesten sind Kunststoff-Füllungen aus Composite

oder Inlays aus Keramik. Diese sind nicht nur gut körperverträglich und langlebig, sondern ähneln auch der natürlichen Zahnfarbe und sind daher kaum sichtbar. Wenn Amalgam in den Organismus vor dringt, kann es bei empfindlichen Pa tienten zu verschiedenen Symptomen kommen: Allergische Reaktionen, Haut ausschlag, Kopfschmerzen, Schlafstö rungen, Nierenerkrankungen oder auch Haarausfall. Selbstverständlich reagiert jeder Mensch unterschiedlich und solche Extrem-Reaktionen sind äußerst selten.

Kieferorthopädie:

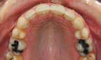
Dieser Patient hatte folgende Diagnose:

• Schmalkiefer Oben und Unten

• Kreuzbiss rechts

• Nichtanlage von Zahn 14

• Engstand Ober- und Unterkiefer

• Protrusion der Ober- und Unterkiefer Schneidezähne

Aufgrund der Nichtanlage des Zahnes 14 lag im Oberkiefer eine Asymmetrie des Zahnbo gens vor. Deshalb sah die kie ferorthopädische Therapie die Extraktion von 3 Prämolaren vor um eine Symmetrie zu errei chen und um die Okklusion kor rekt einzustellen.

Durch die Therapie konnten gleichzeitig auch alle anderen Probleme wie z.B. der Kreuzbiss auf der rechten Seite, der Eng

Dr. med. dent. Jule Hirte

Bachla 6

I - 39030 Pfalzen (BZ)

Tel.: 0474 862334

whatsapp:

stand im Ober- und Unterkiefer und vor al lem die Protrusion der Schneidezähne beho ben werden.

Mit freundlichen Grüßen Dr. Josef Willeit und Dr. Paul Willeit

Dr. Josef Willeit

Facharzt für Zahn-, Mund- & Kieferheilkunde Facharzt für Kieferorthopädie

Dr. Paul Willeit

Zahnarzt, Facharzt für Kieferorthopädie

Adresse:

Romstraße 3, Bruneck

Tel. 0474

409 info@willeit.it

www.willeit.it

15 SOZIALES & GESUNDHEIT PZ 20 | 13. OKTOBER 2022
Abb. 1: Vor der Behandlung, rechts Abb. 7: Vor der Behandlung, Oberkiefer Abb. 5: Vor der Behandlung, Unterkiefer Abb. 3: Vor der Behandlung, links Abb. 2: Nach der Behandlung, rechts Abb. 8: Nach der Behandlung, Oberkiefer Abb. 6: Nach der Behandlung, Unterkiefer Abb. 4: Nach der Behandlung, links MODERNE ZAHNMEDIZIN
555
Anzeige
+39 327 341 00 99 AnzeigeAMALGAM Gut
Gift?

Gesundheit ist, resilient und widerstandsfähig zu werden und zu bleiben

Derzeit höre ich oft den Satz: „Wie geht es bloß nach all diesen Krisensituationen weiter?

Wir sind immer öfter praktisch gezwungen, alte Komfortzonen zu verlassen und uns zumindest zeitweise in einer neuen Welt zu rechtzufinden. Die Resilienzforschung versucht uns hier versteh bare, handhabbare und sinnhafte Erklärungen und Strategien an zubieten. Gute Resilienz (von lateinisch resilire «zurückspringen» «abprallen») oder psychische Widerstandsfähigkeit hilft uns, aus Krisen gestärkt hervorzugehen und so gesund wie nur möglich zu bleiben. Die Fähigkeit, Krisen zu bewältigen, indem wir auf persönliche und sozial vermittelte Ressourcen zurückgreifen, ist unser grosses Potenzial. Resilienz funktioniert wie ein wachsa mes mentales Immunsystem gegenüber den Einflüssen, die uns auf Dauer krank machen. Der Prozess als solches beginnt:

• Mit einem Auslöser, der Resilienz erfordert (z. B. Traumata oder belastende seelisch- emotionale Herausforderungen)

• Erfordert Ressourcen, die Resilienz begünstigen (z. B. Selbst wertgefühl, positive Lebenshaltung, unterstützendes soziales Umfeld) und

• Verlangt von uns Konsequenzen (z. B. Veränderungen im Ver halten oder in Einstellungen).

Die ursprüngliche Idee der sieben Säulen der Resilienz bietet uns ein sehr übersichtliches Gedankengerüst und beinhaltet vier Grundhaltungen und drei Praktiken:

1. Säule: AKZEPTANZ

Akzeptanz meint auf der einen Seite einen stresslösenden Umgang mit Einschränkungen und Verknappungen. Es geht darum zu ver innerlichen, was nicht geändert werden kann und was sich noch nicht verändern lässt. Hierbei hilft die Akzeptanz dessen, dass sich etwas nicht verändern lässt. Zweitbeste Lösungen zu akzep tieren löst Stress und hilft für mehr Zufriedenheit mit den eigenen Entscheidungen. Sich selbst auch mit Fehlern und Makeln zu ak zeptieren und anzunehmen fördert einen guten Zugang zu sich

2. Säule: BINDUNG

Bindung bezieht sich auf die Beziehung zu sich selbst, zu ande ren Menschen, Gruppen und ganzen Systemen. Bindung ist inso fern für eine starke Resilienz wichtig, da sie im Wesentlichen ein menschliches Bedürfnis nach Kontakt erfüllt und den Schutzfak tor soziale Unterstützung stärkt. Empathie ist einer der wichtigs ten Faktoren für eine starke Bindung. Dafür ist die Unterscheidung von Mitgefühl und Mitleid wichtig.

3. Säule: LÖSUNGSORIENTIERUNG

Insbesondere im Umgang mit Problemen und Krisen ist die Lö sungsorientierung ein stärkender Faktor. Hierfür bietet sich die Arbeit mit klar definierten Zielen an. Die Lösungen sollen positiv

Entsprechende themenbezogene Zusendungen und Fragen können so wie bisher in bewährter Weise direkt an meine E-Mailadresse gruber@prosalus.info oder telefonisch unter 0474 409344 direkt an mich gerichtet werden.

formuliert, konkret beschreibbar, einfach, überschaubar, realis tisch, durch eigenes Tun erreichbar und kontrollierbar sowie mit kleinen Schritten erreicht werden. Dabei ist es wichtig, dass sie die eigenen Werte berücksichtigen: Was ist mir wichtig?. Eine lö sungsorientierte Haltung erleichtert den Zugang zu den eigenen Kraft- Reserven auch unter Stress.

4. Säule: GESUNDER OPTIMISMUS

Ein gesunder Optimismus meint nicht das Schauen durch die ro sarote Brille oder das Schönreden von Problemen. Es ist ein rea listischer Optimismus, der auch den Pessimismus als evolutio när bedingte Überlebenskompetenz würdigt. Bei dieser Haltung geht es um die Balance zwischen Negativ- und Positivfokus. Um den negativen Fokus zu erweitern, hilft zum einen das Trainieren der Dankbarkeit. So werden Denkmuster unterbrochen, die sich auf das Schlechte konzentrieren und es versetzt in einen besseren Zustand. Ein gesunder Optimismus meint „das Gute im Schlech ten“ zu sehen, damit wir Stress aktiv herunterregulieren können. Die drei Praktiken Neben den Grundhaltungen gibt es drei Prak tiken, die durch stetiges Ausführen, Wiederholen und Trainieren die eigene Abwehrkraft gegen Stress aufbauen. Diese Praktiken fokussieren sich besonders auf uns selbst und den daraus folgen den Umgang mit sich. Wir sind der wichtigste Mensch in unserem Leben, so egoistisch das auch klingen mag. Wenn wir uns und unsere Reaktionen verstehen, können wir besser auf unsere Ge sundheit achten und auch besser mit der Umwelt interagieren.

5. Säule: SELBSTWAHRNEHMUNG

Selbstwahrnehmung ist der erste Schritt auf dem Weg zu einer gu ten und stärkenden Beziehung zu sich selbst. Es ist die Fähigkeit die Signale des Körpers wahrzunehmen und einordnen zu können. Hierbei geht es insbesondere um die Schärfung der Sinne und die Achtsamkeit auf uns selbst.

6. Säule: SELBSTREFLEXION

Die Selbstreflexion geht einen Schritt über die Selbstwahrneh mung hinaus und versetzt uns in eine neue Perspektive. Wir be trachten uns von außen und reflektieren Reaktionen, Denk- und Gefühlsmuster. Das führt dazu, dass wir eher Stressreaktionen erkennen und Verhaltensänderungsprozesse einleiten können. Außerdem stärkt die Selbstreflexion das Verständnis für uns selbst. Eine wertvolle Erkenntnis dabei ist, dass Emotionen immer Hin weise auf Bedürfnisse sind. Hilfreich zur Selbstreflexion sind die Fragen: Wie habe ich geschafft, dass es gut wurde? Wie habe ich geschafft, dass es nicht gut wurde? Was kann ich in einer ähnli chen Situation verändern?

7. Säule: SELBSTWIRKSAMKEIT

Selbstwirksamkeit ist das Bewusstsein, dass unser Handeln Aus wirkungen hat. Es ist also auch der Glaube daran, dass wir selbst dazu in der Lage sind etwas aktiv zu verbessern. Um die Selbst wirksamkeit zu trainieren sind Erinnerungshilfen und Anker sinn voll. Was kann mich in bestimmten Situationen an meine Kom petenzen erinnern? Beispielsweise hilft hierbei ein Tagebuch mit wertschätzendem Feedback, schönen Gedanken und Erlebnissen, um einen Perspektivwechsel einzuleiten.

16 SOZIALES & GESUNDHEIT PZ 20 | 13. OKTOBER 2022
NATÜRLICHE GESUNDHEIT DURCH EIGENES TUN

Jedes Stück ein Unikat, angepasst an Ihre persönlichen Anforderungen. Die neuen Hörsysteme sind nahezu unsichtbar und bieten hohen Hörkomfort und besten Klang.

Bozen

Romstraße 18M Mo.-Fr. 8.30-12.30 Uhr 14.30-18.30 Uhr

Brixen

Stadelgasse 15A Mo.-Fr. 8.30-12.30 Uhr 14.00-18.00 Uhr

Bruneck

Herzog-Sigmund-Straße 6C Mo.-Fr. 8.30-12.30 Uhr 14.00-18.00 Uhr

Meran

Freiheitsstraße 99 Mo.-Fr. 8.30-12.30 Uhr 14.00-18.00 Uhr

Neumarkt

Optik Julius Rathausring 36 jeden Mittwoch 8.30-12.00 Uhr

Prad

Apotheke Prad Kreuzweg 2A jeden 1. Dienstag im Monat 8.30-12.30 Uhr

Schlanders

Ex-Ambulatorium Dr. Tappeiner Karl-Schönherr-Straße 19 jeden Donnerstag 8.30-12.30 Uhr, 14.00-18.00 Uhr

T 800 835 825 zelger.it Ihre Hörexperten 30 TAGE KOSTENLOS TESTEN DISKRET. PERSÖNLICH. EINMALIG.

In Form

Reinhold Stoll bewegt sich in zwei Welten. Wer ihn an seinem Arbeitsplatz in Taisten besucht, kann bei de erleben. Da ist die Werkstatt, in der er aus Holz das schafft, was man von einem Tischler kennt: Kü chen, Wohnzimmermöbel, Tische, Stühle. Im Raum oberhalb der Werkstatt ist es, als schlendere man durch eine Galerie, in der ganz ungewöhnliche Stücke ausgestellt sind. Gemeinsam ist den beiden Berei chen der verwendete Rohstoff: Holz. Diesen Rohstoff kennt Stoll in- und auswendig, er beherrscht den Umgang damit so gut, dass er für seine Handwerkskunst mehrfach ausgezeichnet wurde. Zuletzt erhielt er für einen Tisch den Bayerischen Staatspreis für Gestaltung. Ein Ritterschlag. Was Holz ihm bedeutet und warum er sich auf einem lebenslangen Lernprozess befindet, erzählt Stoll im Interview.

PZ: Herr Stoll, was sind Sie? Tischler oder Designer?

Reinhold Stoll: Ich habe zwei Seelen. Ich ma che ganz klassische Tischlerarbeiten wie Kü chen, Wohnzimmer oder Möbel. Und dann sind da die freien Arbeiten. Die Vorgehens weise ist anders. Bei den Tischlerarbeiten trete ich in Dialog mit der Kundschaft, hö re mir die Wünsche an und versuche, sie in Form zu bringen. Das Ziel ist, einen Mehr wert zu schaffen im Sinne eines positiven Raum- und Wohngefühls. Bei den freien Arbeiten stelle ich mir die Aufgabe selbst. Sie sind frei von Zweck und Maßvorgaben, müssen also keinen Ansprüchen anderer ge recht werden. Und trotzdem ist alles mitein ander in Verbindung. Aus der Beschäftigung mit freien Arbeiten schöpfe ich Details und neue Formen, die dann wiederum in die nor male Arbeit mit einfließen.

Ihre Ausbildung zum Tischler hat Sie bis nach Deutschland geführt. Ein un gewöhnlicher Weg?

Ich denke, es gibt Zufälle im Leben. Ent weder man ergreift die Chance oder nicht. Nach meiner Lehre arbeitete ich bei einem Tischler in München. Ich bin dorthin, weil ich in der Stadt die Möglichkeit hatte, auf

Reinhold Stoll, Jahrgang 1958, wächst in Taisten auf. Nach abgeschlossener Tischlerlehre arbeitet er in einem Tisch lereibetrieb in München und besucht im Anschluss die Meisterschule für Schrei ner in Garmisch-Partenkirchen. 1984 er

Rockkonzerte zu gehen: Led Zeppelin, Ge nesis, The Who. Es ging mir nicht nur um Musik, die Arbeit war mir immer wichtig.

öffnet er zusammen mit seinem Bru der Alfred eine eigene Tischlerwerkstatt in Taisten. Weil er noch mehr über Form und Gestaltung lernen will, absolviert er von 1994 bis 1996 die Fachakademie für Holz- und Raumgestaltung in GarmischPartenkirchen. Seinen Beruf als Tisch ler übt er mit zwei ganz unterschiedli chen Ansätzen aus. Zum einen schafft er normale Lösungen, mit denen er die Wünsche seiner Kunden in Holzmöbel übersetzt. Und dann sind da die freien Arbeiten, also Aufgaben, die er sich selbst stellt und die in ihrer Konstruktion und Optik an künstlerische Designobjek te erinnern. Verschiedene Ausstellungen (unter anderem auf der Internationalen Handwerksmesse in München oder beim fuorisalone in Mailand) und Auszeich nungen (2022 erhält er den Bayerischen Staatspreis für Gestaltung) begleiten seinen Weg als Tischler und Designer. www.reinhold-stoll.it

In der Tischlerei haben wir mit Massiv holz gearbeitet und ganz normale, solide Bauernmöbel gemacht. Massivholz ist mei

Arbeitsplatz und Ideenschmiede: In seiner Werkstatt verarbeitet Stoll den Rohstoff Holz. silbersalz

MENSCHEN IM PORTRÄT 18 PZ 20 | 13. OKTOBER 2022
REINHOLD STOLL
Tischler und Designer: Reinhold Stoll hat seine perfekte Kombination gefunden. silbersalz

Ein weiteres Beispiel der freien Arbeiten, die frei von Zweck und Maßvorgaben sind.

ne Leidenschaft, damit bin ich aufgewachsen. Mein Chef, der mich gefördert hat, meinte dann: Reinhold, du musst auf die Meister schule gehen. Nach meiner Bewerbung in Garmisch haben sie mich gleich genommen. Die Zeit an der renommierten Schule hat mich geprägt. Hier habe ich zum ersten Mal andere Hölzer kennenge lernt. Wie sagt man so schön? Das hat mich „geschnaggelt“, mir also eine neue Welt eröffnet.

Die neue Welt bestand auch darin, den Dingen Form zu geben? Dort habe ich verstanden: Die moderne Form entspricht mir. Und dass ich ein gewisses Gespür für Form und Konstruktion habe. Es war ein Stück weit wie eine Erweckung. Mir kam vor, es ist das Höchste, was mir in meinem Handwerk passieren kann. An diesem Punkt jetzt weiterzuarbeiten, das kennenzulernen. An der Meister schule gibt es mehrere Studiengänge: für Schreiner und Bildhauer, dann die Meisterschule und die Fachakademie für Holz und Raum gestaltung. Da siehst du einen Haufen Leute, die alle Holz im Kopf haben. Ich habe ständig mit anderen Schülerinnen und Schülern kommuniziert und viel gelernt. Das war ein Umfeld, das sehr viel gefördert hat. Danach habe ich mich mit meinem Bruder Alfred, Tischler wie ich, selbstständig gemacht.

Sie haben zehn Jahre als Tischler gearbeitet und sind dann noch einmal aufgebrochen. Warum?

Das Ziel war immer, eine gute Form erkennbar zu machen. Aber das ist nicht so einfach. Denn du brauchst Sicherheit in der Gestaltung. Es ist ein Lernprozess. Das handwerkliche Können war da, aber in der Gestaltung hat noch etwas gefehlt. Da habe ich beschlossen, zehn Jahre nach Abschluss an der Meisterschule in Garmisch die Fachakademie für Holz- und Raumgestaltung zu besuchen.

Haben Sie sich weiterentwickelt?

Ja. Es hat mich reifen lassen und mir Sicherheit gegeben, wie ich mit Gestaltung umgehe. Es ist wie eine Art Werkzeug, auf das ich zurückgreifen kann. Das heißt nicht, dass alles leichter wird. Auch der persönliche Anspruch hat sich mit der Zeit gesteigert.

Was bedeutet Ihnen der Rohstoff Holz?

Ich beschäftige mich mein ganzes Leben damit, vor allem mit Mas sivholz. Dadurch habe ich eine gewisse Kenntnis und Sichtweise erlangt. Das geübte Arbeiten mit den Händen erlaubt mir, auch in komplexe Formen und Ausdruck vorzudringen. So erreicht man eine gewisse Sprache über die Gestaltung. Diese trage ich in die Öffent lichkeit, sichtbar durch Form und schaffe wiederum ein gewisses Erkennungmerkmal und Eigenständigkeit. Für mich ist Holz mehr als ein Werkstoff. Er verbindet Zeit und Raum, ist lebendig.

MENSCHEN IM PORTRÄT 19PZ 20 | 13. OKTOBER 2022
www.xalarm.it Zutrittskontrolle Videoüberwachung Alarmanlagen Brandmeldetechnik XALARM_Advertising_PZ_90x92mm_neutral_GZD_211116.indd 1 17.11.21 12:19 Ausdrucksstark: Seit Jahrzehnten setzt sich der Tischler mit der Fuge auseinander. Auch für dieses Möbel ist die Fuge Ausgangspunkt der Gestaltung.
Ausgezeichnet:
Für
diesen Tisch mit konkaven und konvexen Formen, erhält Reinhold Stoll 2022 den Bayerischen Staatspreis für Gestaltung.
Ausgedacht:
>> silbersalz

Du kannst ihn nicht einsetzen wie Metall oder Plattenmaterial, du musst dem Mate rial folgen, gewisse konstruktive Gesetze ein halten, damit es sich nicht verzieht. Das Hin tergrundwissen kannst du nicht in ein paar Jahren lernen. Diese Langsamkeit passt zum Rohstoff – der Baum braucht ja auch seine Zeit, um zu wachsen.

Wenn Sie sagen, Sie beschäftigen sich ein Leben lang mit Holz… … dann heißt das, es fing schon in der Kind heit an. Mein Vater war Tischler und wir hal fen früh in der Werkstatt mit. Viele Spielsa chen haben wir selbst gebaut, zum Beispiel Kisten oder die Rennböcklan. Mittwochs hat mein Vater immer Kisten von Hand ge stemmt, dieses Geräusch höre ich heute noch ganz lebendig in mir. Das sind Urein drücke, die bleiben. Werkstätten und ihre Akustik faszinieren mich. In ihnen steckt ein unglaubliches Wissen.

Lösen Sie mit Ihren freien Projekten die schwierigen Fragen des Tischler handwerks?

Es sind nicht die schwierigen Fragen, es sind die spannenden. Ich beschäftige mich an dauernd mit Form, das ist ein Kontinuum. Eine Idee entsteht nicht nur in fünf Minuten, sie wächst über lange Zeit. Das Wichtigste ist das Sehen, mich inspiriert alles, die Musik, das Theater, Museen, die Natur, die Kunst, man muss nur offen, aufmerksam und spon tan sein und alle Eindrücke einsaugen und Verbindungen zur eigenen Arbeit schaffen.

Sie setzen sich seit Jahrzehnten ganz intensiv mit der Fuge auseinander. Was reizt Sie daran?

In der Werkstattauseinandersetzung nimmt die Fuge als Gestaltungs- und Konstruk tionsmerkmal eine fundamentale Rolle ein. Schattenfugen, Lagerfugen, Achsfu gen, Farbstöße sind nur ein paar Beispie le. Die Fuge drückt alle für die Entstehung eines Raumkörpers beinhaltenden Fragen und Zusammenhänge aus. Für mich persön lich hat sie zudem eine Bedeutung als mein Abschlussprojekt an der Fachakademie, das ich später dann auch für eine Ausstellung im Ragenhaus umgesetzt habe

Das klingt nach Kunst.

Die Grundlage ist immer mein Handwerk. Kunst interessiert mich, aber meine Stärke liegt ganz klar in der Konstruktion und im richtigen Zusammenfügen von Teilen. Dann sind wir auch schon wieder bei der Fuge. Im Grunde kreist alles um ein Zusammenfügen von Teilen.

Ein schönes Projekt, das im Ausstel lungsraum über der Tischlerei zu se hen ist, stammt von Ihrem Bruder Al fred. Er hat den klassischen Tiroler Stuhl neu interpretiert. Gibt es Rei bung, wenn zwei Brüder unter einem Dach arbeiten?

Natürlich, im positiven Sinn. Alfred hat bei diesem Projekt versucht, den traditionel len Tiroler Stuhl in eine zeitgemäße Form zu bringen. Sein Ansatz war, die Teile nicht mit normalen Maschinen, sondern komplett an der Drechselbank zu machen. Die Ausei nandersetzung mit unseren unterschiedli chen Sichtweisen – er ist radikaler als ich –ist äußerst spannend. Wir tauschen uns aus, wir ergänzen uns, es ist sehr fruchtbar.

Für das Werkstück „Tisch mit konka ven und konvexen Formen” sind Sie mit dem Bayerischen Staatspreis für Gestaltung ausgezeichnet worden. Wie kam die Idee zur Umsetzung? Das ist wieder eine meiner selbst gestellten Aufgaben. Ausgangspunkt ist der Rahmen, also etwas, mit dem ich mich in der Werk statt ständig beschäftige. Ein Rahmen fo kussiert Raum. Konkave und konvexe Form in einem Gebilde zu vereinen, war an die sem Objekt meine Aufgabe. An vier gleichen Seiten in Leistenform habe ich gleich große Schalen herausgearbeitet, die sich nur durch ihre Anordnung unterscheiden. Die Seiten habe ich zu einem Rahmen zusammenge fügt, so entsteht ein freies Gebilde, das von allen Seiten eine andere Sicht freigibt. Die Schalen bzw. Beulen scheinen im Innen raum zu schweben und erzeugen einen ge wissen sphärischen Eindruck. Durch das Auftrennen der Seiten entsteht ein Lichtund Schattenspiel, das Innenraum, Außen raum und umgebenden Raum verbindet. Das schlichte Weiß der Oberfläche habe ich

gewählt, um die reine Form zu unterstützen und nicht abzulenken. Mir gefällt der Solitär frei in den Raum gestellt. Das schafft neue Raumsituationen und verändert sie, es stei gert die Präsenz im Raum, erzeugt Stimmun gen und begibt den Betrachter in einen eige nen Zustand.

Wie lange dauert es, bis so ein Stück entsteht?

Es entsteht alles im Kopf. Das ist meine Grundlage, nach der ich es zeichne und dann auch ausführe. Dann ändere ich fast nichts mehr. Das Interessante ist: Eigentlich hatte ich mich mit einem weniger radikalen Tisch mit fließenden Formen beworben. Vor Ort habe ich beide Tische ausgestellt. Ein Ju rymitglied sagte dann, dass sie sich für das weiße Modell entschieden haben, weil es die radikalere Form ist, ein Möbel zu den ken. Das hat mich besonders gefreut, denn ich hätte es nicht gewagt, mich damit zu be werben, weil es eben sehr weit weg ist von einem Möbel. Das kann für den Betrachter durchaus befremdlich sein. Eben weil diese Arbeiten frei von einem Zweck sind, kann ich dadurch Formen sichtbar machen und die gewonnenen Details dann auch für an dere Projekte verwenden.

Das klingt nach einer Gratwanderung. In der Tat. Wer oben ist, kann runterfallen, aber es ist sehr schön dort.

Auf Ihrer Homepage steht, Ihre Arbeit sei ein steter Lernprozess. Was haben Sie erst vor Kurzem neu dazugelernt? Ich bin gelassener geworden. Die Arbeit wird nicht leichter, aber ich habe mehr Sicherheit gewonnen. Überhaupt: Mein Arbeitsleben habe ich mir so eingerichtet, dass mir meine Arbeit unglaublich viel Freude macht. Mehr als am Anfang. Das kommt auch durch die freien Arbeiten. Nun arbeite ich seit bald 50 Jahren und möchte das noch lange tun. Freie Arbeiten sind mein Ding. Mich interessiert die reduzierte puristische Form. Etwas so weit zu reduzieren, dass man nichts mehr weglassen kann und damit doch noch einen Ausdruck zu schaffen. Das ist mein Ziel.

MENSCHEN IM PORTRÄT 20 PZ 20 | 13. OKTOBER 2022
// Interview: Verena Duregger
Bei seinen freien Arbeiten interessiert Reinhold Stoll die puristische Form – die Gestaltung so weit zu reduzieren, bis man nichts mehr weglassen kann und damit noch einen Ausdruck zu schaffen wie bei diesem Präsentationstisch mit drei ovalen Schalen, der Zelle aus gestampftem Beton oder der Holztruhe (v.l.).

EUROPÄISCHE GEIST

Bereits seit 60 Jahren sind die Ge meinden Kiens und Weiterstadt (Hessen) freundschaftlich verbun den und nach wie vor wird der Geist der europäischen Zusammenarbeit weiterge tragen. Der Einladung aus der bundesdeut schen Partnergemeinde folgte eine Delega tion des Unterpusterer Gemeinderates samt Bürgermeister Andreas Falkensteiner dem

entsprechend gern. Für einige der jüngeren Gemeinderatsmitglieder war es das erste Gastspiel in der zwischen Frankfurt und Darmstadt liegenden Stadt.

Ein Besuch der modernen Feuerwehrsta tion, der Sammlung des örtlichen Heimat vereins, des Schlosses Braunshardt, sowie dem logistisch spannend arbeitenden Spar

in der regenerativen Medizin

Eine innovative, the rapeutische Lösung

Mesenchymale Stamm zellen (Mesenchymal stem cells, MSC) sind multipotente Vorläufer zellen verschiedener Zelltypen. Das Interesse an der Erforschung von MSCs entstand, nach dem entdeckt wurde, dass diese Zellen in Knochen, Fett, Knor pel, Muskeln und Neuronen differenziert werden können (sich umwandeln können) und somit geeignete Kandidaten für rege nerative Therapien sein könnten. Mittlerweile hat sich das bestätigt und die MSCs Zellen werden in den verschie densten Bereichen der Medizin eingesetzt: Kiefer-und Gesichtschirurgie, Zahnmedi zin, Sportorthopädie und Traumatologie, Plastische Chirurgie, Dermatologie… In der Orthopädie können diese bei Seh nen-, Knorpel- und Muskelverletzungen eingesetzt werden. Sie tragen zur Auf

rechterhaltung und Rege neration des Stütz- und Bindegewebes, wie Kno chen, Knorpel, Muskel, Bändern, Sehnen und Fettgewebe bei. Ihre ent zündungshemmende und immunmodulierende Wir kung ist auch von grundle gender Bedeutung für die Wiederherstellung der na türlichen Umgebung und die Förderung der Heilung und Regenera tion des verletzten Gewebes.

Wie funktioniert es?

Mesenchymale Stammzellen lassen sich aus vielen Geweben (Knochenmark, Knor pel, Fettgewebe, Muskel, Lebergewebe, Blut, Amnionflüssigkeit, Haut) isolieren.

Eine der neuesten Studien (Matthew B Murphy,..) hat gezeigt, dass diese ver mehrt in der Dermis (Haut) vorkommen.

Mit der Methode von MediGraft wird eine Probe der Haut sanft in regenerative Ge webeeinheiten dissoziiert, wodurch ein

gel- und Erdbeerhof Meinhardt waren dem nach Pflicht. Umfangreich wurden auch Gemeinsamkeiten, Unterschiede und He rausforderungen der zwei Gemeinden in herzlicher und freundschaftlicher Atmo sphäre thematisiert. Eine Einladung zu einem baldigen Wiedersehn in Kiens wur de natürlich auch ausgesprochen.

hochgradig lebensfähiges Zellprodukt erhalten wird, das für die Infiltration in das verletzte Gewebe geeignet ist. Medi graft™ ist ein Einweg-Verfahrenskit, das für die mechanische Verarbeitung und Disaggregation einer biologischen Ge webeprobe zur Verwendung im Bereich der regenerativen Medizin und Chirur gie entwickelt wurde. Dem Patienten wird lediglich eine Haut probe entnommen und zu Mikroclustern verarbeitet. Diese werden dann im ver letzten Gewebe eingebracht. Ich biete diese innovative Methode, als einer der wenigen in Südtirol und Italien, haupt sächlich meinen Patienten für die Be handlung einer Arthrose oder bei Seh nenverletzungen an.

21 GESELLSCHAFT & MENSCHEN PZ 20 | 13. OKTOBER 2022 KIENS DER
// df
Die beiden Delegationen aus Kiens und Weitenstadt beim gemeinsamen Gruppenfoto.
Dr. Carlo Sacchi MediGraft
Dr.
Carlo Sacchi Facharzt für Orthopädie und Unfallchirurgie Stadtgasse 43, I-39031 Bruneck (BZ) Vormerkungen Tel. +39 349 8180024 Anzeige

Vier Pustertaler Bibliotheken punkten

Im Rahmen des Bibliotheksforums 2022 auf Schloss Maretsch wurde am 30. September 2022 auch der Südtiroler Ideenwettbewerb zur Leseförderung mit der Vorstellung und Prämierung der Projekte abgeschlossen. Vier Bibliotheken aus dem Pustertal erhielten eine bzw. zwei Auszeichnungen für gelungene Initiativen in diesem Bereich.

Amtsdirektorin Marion Gamper und Kultur landesrat Philipp Achammer eröffneten die Veranstaltung mit Gedanken über das Lesen generell. Markus Fritz und Sigrid Klotz vom Amt für Bibliotheken und Lesen präsentier ten anschließend die verschiedenen leseför dernden Ideen.

ÜBER 70 IDEEN ZUR LESEFÖRDERUNG

Insgesamt 72 Projekte wurden bis zum Jah resende 2021 eingereicht, 39 davon von Öffentlichen Bibliotheken, 33 von Schul bibliotheken. Eine Jury ermittelte die Sie gerprojekte in den drei Kategorien „Unsere Idee rund ums Lesen ist originell, innovativ, kreativ, verrückt oder unglaublich", „Unse re Idee hat sich bewährt und ist vielfach er probt" beziehungsweise „Unsere Idee wurde im Lockdown entwickelt und sie funktio niert auch danach". Der Jury gehörten Ruth Oberrauch (Pädagogische Abteilung), Bri gitte Kustatscher (Südtiroler Kulturinstitut), Markus Fritz und Sigrid Klotz (Amt für Bib liotheken und Lesen) an.

„BÜCHER IN FREIER WILDBAHN“ UND „EVERGREEN“

Bei den Schulbibliotheken hatte die Biblio thek des Sprachen- und Realgymnasiums

Nikolaus Cusanus Bruneck die Nase ganz vorne. Gleich zwei Aktionen wurden aus gezeichnet. Die erste nennt sich „Bücher in freier Wildbahn“ und zielt darauf ab, aus sortierten Werken mit Hilfe einer Werbebot schaft zu neuem Leben zu verhelfen. Das aussortierte Buch wird gemeinsam mit der Werbebotschaft an einem öffentlichen Ort gut sichtbar hinterlegt, damit es gefunden und bestenfalls gelesen wird. Wer mag, kann auf die Werbe botschaft auch antworten. „Evergreen – große Klassiker stets modern“ nennt sich die zweite prämierte Aktion. Schul bibliothekar Thomas Mittermair präsentiert das ganze folgender maßen: „Viele klassische Wer ke, die heutzutage im Unterricht gelesen werden, sind schon et was älteren Semesters und ger ne mal 50, 100 oder 200 Jahre alt. Vermutlich würden viele Schülerinnen und Schüler sie keines zweiten Blickes würdi gen, wenn, ja wenn man sie nicht für die Schule lesen müss

te. Allerdings sind diese Werke nicht ohne Grund „Weltliteratur". Es sind Bücher, die über Landesgrenzen hinweg große Verbrei tung gefunden haben und die gleichzeitig für die Weltbevölkerung als bedeutsam er achtet werden. Damit das Lesevergnügen größer wird bzw. überhaupt erst erwacht, sind die Schülerinnen und Schüler aufgefor dert, den Büchern neue Titel zu vermachen und die Wahl schriftlich zu begründen.“ „Da wird aus „Faust I“ „Highway to Hell“, weil die Story direkt in die Hölle führt“, lacht Bibliotheksleiterin Maria Fenti.

WELSBERG-TAISTEN WIMMELT

An die Zielgruppe Kinder und hier an die Allerkleinsten richtet sich die Aktion der Öf fentlichen Bibliothek Welsberg-Taisten. Ge meinsam mit dem Bildungsausschuss hat sie das allererste Wimmelbuch in Südtirol herausgebracht und auf diese Weise ein ge samtes Dorf in ein Buch gepackt.

Auf elf lustigen, herzlichen und informa tiven Hintergrundseiten finden sich über 650 echte Personen des Dorfes wieder. Alle Seiten und Personen sind von einem vier köpfigen Team (Veronika Ausserhofer, Lu

22 GESELLSCHAFT & MENSCHEN PZ 20 | 13. OKTOBER 2022 BIBLIOTHEKSFORUM
Große Freude herrschte bei den verschiedenen Preisträgerinnen und Preisträgern (im Bild).
Hurra, es hat geklappt! Die Freude ist natürlich groß!

cia Nania, Roland Regele, Roswitha Strobl) handgezeichnet und in Feinarbeit zusam mengestellt worden, somit erzählen diese Bilder viele kleine und große Geschichten für Menschen ab zwei Jahren. „In diesem Buch trifft Kultur, Geschichte und Dorfge schehen aufeinander“, bringt Bibliotheks leiterin Roswitha Strobl den Inhalt auf den Punkt.

„BOOK-APPEAL“ UND „MEIN PAPA IST EIN HELD! MEIN PAPA LIEST …“

Zwei Prämierungen gab es für die Bibliothek Toblach. Das Projekt „Book-Appeal“ erweist lesenden Menschen eine Hommage. Auch diese Aktion ist lokal beschränkt – diesmal auf Toblach – und bringt in einer Agenda lesende Menschen aus dem Dorf, die bei einem professionellen Fotoshooting mit gemacht haben, zusammen. Alle, die die Agenda benutzen, haben Tag für Tag Im pulse für mehr Lesegenuss. „Die Idee zur Initiative fußt auf einer Umfrage einer re nommierten deutschen Zeitschrift, laut der Menschen beim Lesen als attraktiver einge schätzt werden, als wenn sie nicht lesen“, erklären Edith Strobl und Manuela Gualtie ri von der Bibliothek Toblach.

Ihr zweites Projekt „Mein Papa ist ein Held! Mein Papa liest…“ entstand während des Lockdowns. Väter wurden in Einzelterminen mit ihren Kindern in die Bibliothek eingela den und bastelten aus vorgefertigten Text bausteinen eine Geschichte zusammen. Auf der roten Couch gab es nicht nur eine wun derbare Kuschelatmosphäre, sondern auch

Essen und Trinken, was das Kreativ-Sein un heimlich erleichterte. Wer wollte, konnte sei ne Geschichte aufnehmen und somit für die Nachwelt erhalten lassen.

LITERATURNÄCHTE UND JUGENDBUCHPRÄSENTATION

Und weil im Pustertal aller guten Dinge zwei sind, hat auch die Stadtbibliothek Bruneck zwei Leseförderungs-Auszeichnungen er gattert. In der Kategorie „Unsere Idee hat sich bewährt und ist vielfach erprobt“, wur den die „Literaturnächte“, die die Stadtbi bliothek zusammen mit dem Jugend- und Kulturzentrum UFO seit 2000 jährlich – mit einer corona-bedingten Ausnahme 2022 –im Februar/März durchführt, ausgezeichnet.

„Die vier aufeinander folgenden LiteraturDienstage sind aus dem Brunecker Kultur leben nicht mehr wegzudenken“, äu ßert sich Stadträtin Ursula Steinkasse rer sichtlich erfreut über den großen Er folg.

Viel Lob und noch mehr Lacher gab es für die „Jugendbuch präsentationen“, die seit mehr als 15 Jah ren alljährlich von Michaela Grüner und Sonja Brun ner vorbereitet und durchgeführt wer

den. Die beiden präsentierten für alle An wesenden in einem Ausschnitt aus ihrem aktuellen Programm das Buch „Sommer nachtserwachen“ von Meg Rossoff. „Es gibt viele unterschiedliche Arten, ein gutes Buch zu lesen, und es gibt noch mehr Möglichkei ten der Interpretation“, amüsierte sich Son ja Hartner, Amtsdirektorin der Stadtbiblio thek Bruneck.

Im Anschluss an die Prämierung gaben die drei Künstlerinnen Eva Kuen, Margot Mayr hofer und Teresa Staffler Auszüge aus ihrem Bühnenprogramm „Bis in die Puppen!" zum Besten, das eigens für das Bibliotheksforum adaptiert wurde. Als Preis erhielten die Bib liotheken je 10 coole Hocker in unterschied lichem Design, die neue sympathische Sitz gelegenheiten in den einzelnen Bibliotheken schaffen. // mig

23 GESELLSCHAFT & MENSCHEN PZ 20 | 13. OKTOBER 2022

Ein neues Tanklöschfahrzeug als Krönung

Es war ein großes Fest. Die Rede geht von der offiziellen Inbetriebnahme des neuen Tank löschfahrzeugs der Freiwilligen Feuerwehr Mühlwald. Das neue Fahrzeug ersetzt ein 31 Jahre altes Tanklöschfahrzeug, das dringend ausgemustert werden musste.

Das Feuerwehrfest wurde standesgemäß mit einem schönen Einzug, einer Feldmesse mit Ortspfarrer Anton Auer und einer Festrede von Kommandant Martin Hopfgartner ein geläutet. Er dankte vor allem seinen Mitkameraden für die stän dige Einsatzbereitschaft und schließlich den vielen Unterstützern für das nötige „Kleingeld“. Denn so ein wichtiges Fahrzeug kostet viel Geld, immerhin rund 350.000 Euro. Das Fahrzeug ist 16 Tonnen schwer, hat 290 PS und verfügt über einen Wassertank mit 2.400 Li tern Wasser sowie 200 Litern Schaum, wie Vizekommandant Han nes Oberbichler aufzeigte. Die Ausrüstung wird durch eine moderne CAFS-Druckschaumanlage komplettiert. Insgesamt neun Wehrleu te können im neuen Tanker Platz nehmen. Als Patinnen des jüngs ten Feuerwehr-Zuwachses konnten Judith Brunner und Nadia Mau rer gewonnen werden.

Schon vor vielen Jahren wurden die Weichen für das neue Fahr zeug gelegt, wobei auch der ehemalige Kommandant Hartmann Oberlechner eine wertvolle Vorarbeit geleistet hatte – genauso wie die aktuelle Kommandantschaft samt dem rührigen Führungsteam.

Aufstellen zum PZ-Gruppenfoto nach dem schönen Festakt: BFP Reinhard Kammerer, Kommandant Martin Hopfgartner, Partin Judith Brunner, Bürgermeister Paul Niederbrunner, Patin Nadia Maurer, Vize-Kommandant Hannes Oberbichler, Senator Meinhard Durnwalder, Landesministerin Maria Hochgruber-Kuenzer und Ortspfarrer Anton Auer.

Bürgermeister Paul Niederbrunner lobte dann auch das große Enga gement und gab seiner Überzeugung Ausdruck, dass „diese Steuer gelder wirklich gut investiert“ seien. Fakt ist, dass die Mühlwalder Wehr immer wieder stark gefordert ist und diese Herausforderun gen wohl noch zunehmen werden. Als Ehrengäste machten der Wehr neben Bürgermeister Paul Nie derbrunnr, auch Landesreferentin Maria Hochgruber-Kuenzer, Se nator Meinhard Durnwalder, Bezirksfeuerwehrpräsident Reinhard Kammerer und sein Vize Raimund Eppacher sowie der Präsident der Wasserkraftwerk Mühlwald, Josef Unterhofer, ihre Aufwartung. Sie alle drückten der Wehr ihre Wertschätzung aus und freuten sich über den gelungenen „Erntedank“.

24 GESELLSCHAFT & MENSCHEN PZ 20 | 13. OKTOBER 2022 FREIWILLIGE FEUERWEHR MÜHLWALD
// rewe

die eigene Hochzeit ist immer eine besondere Zeit – für Brautleute, Angehörige und geladene Gäste gleichermaßen. Damit das freudi ge Lebensereignis auch ein solches bleibt, gilt es viel umzusetzen und vorzubereiten.

Sehr wichtig sind schöne Fotos, die einen bleibenden und nachhal tigen Eindruck vermitteln. So können die schönen und tollsten Mo mente wirkungsvoll eingefangen werden. Damit der schönste Tag im Leben für die Ewigkeit festgehalten werden kann.

Immer mehr Brautpaare wünschen sich neben den traditionellen Hochzeitsfotos auch außergewöhnliche Hochzeitsbilder. Auf den folgenden Seiten sind die schönsten Foto-Momente abgedruckt. Danke für’s Einschicken und viel Spaß beim Lesen! // Reinhard Weger

in

Der Jugenddienst im Dekanat Bruneck organisiert zweimal jähr lich einen Ehevorbereitungskurs, einen im März und einen im November. Während des Kurses, welcher aus vier Modulen be steht, erhalten die Paare ein Set voller Impulse für das Eheleben. Die Einheit voll.recht beschäftigt sich mit den Rechten und Pflich ten der Ehepartner. Rechtsanwältin Angelika Kofler gibt Auf schluss rund um Fragen über Ehegüterstand, die vermögens rechtlichen Beziehungen der Ehepartner bis hin zum Erbrecht. Beim Modul voll.glaube werden mit Dekan Josef Knapp Fragen bezüglich der kirchlichen Trauung geklärt und die Eheleute be kommen Ideen und Anregungen für ihre ganz persönliche Traufei er. Auch die Themen Sexualität, Elternschaft und Intimität finden beim Kurs Platz. Gemeinsam mit Hebamme Jessica Hinteregger können sich die Paare beim Modul voll.mensch austauschen und Fragen klären. Abgerundet wird der Kurs mit der Einheit voll.wir. Elisabeth Feichter, systemsiche Beraterin und Reinhard Feichter, Coach und Personalentwickler, versuchen mit den Paaren eini ge Geheimrezepte für eine glückliche Beziehung zu lüften. Der Kurs findet im Jugenddienst in Bruneck, jeweils von Donnerstag bis Samstag statt. Am Donnerstag und Freitag stehen Abendein heiten am Programm und am Samstag findet der Kurs ganztags statt. Im Jahr 2023 vom 2.-4. März sowie vom 16.-18. November. Anmeldungen sind über die Website des Jugenddienstes www. vollleben.it möglich.

// PR-Info

25 HOCHZEITS FOTOS 2022 PZ 20 | 13. OKTOBER 2022 10.-12.11.22 ich will. 2023 ehe. vorbereitung Kurs Frühjahr Do. 02.03.23-Sa. 04.03.23 Kurs Herbst Do. 16.11.23-Sa. 18.11.23 Kursort Bruneck Anmeldung & Infos www.vollleben.it Jugenddienst Bruneck, Tel. 0474 410242 JUGENDDIENST DEKANAT BRUNECK Ehevorbereitungskurs
Bruneck Liebe Leserinnen und Leser,
SONDERTHEMA HOCHZEITS FOTOS 2022
26 HOCHZEITS FOTOS 2022 PZ 20 | 13. OKTOBER 2022 Laura Huber und Hannes Hilpold geheiratet am 04.06.2022 Lissy Walcher und Fabian Widmann geheiratet am 23.10.2022 Julia Burkia und Martin Zimmerhofer mit Leo geheiratet am 03.09.2022 Daniela Lanthaler und Werner Oberhammer geheiratet am 21.05.2022 Elisabeth Stolzlechner und Sigi Kofler geheiratet am 09.07.2022
Manuela
Weger und Roland Steinhauser mit Maximilian und Lina geheiratet am 11.06.2022 in Steinhaus

Lisa Vittur und Marco Virzì geheiratet am 24.09.2022 in La Villa

Maria Theres Zingerle und Philipp Manzolli geheiratet am 03.09.2022

DAS MOBILE REISEBÜRO VON MIRIAM MICHELBERGER

kompetent

ANGEBOTE:

27 HOCHZEITS FOTOS 2022 PZ 20 | 13. OKTOBER 2022
EXKLUSIVES REISE ANGEBOT Die
Liebe allein versteht das Geheimnis, andere zu beschenken und dabei selbst reich zu werden.
(BRENTANO)
Persönlich,
und unabhängig Ich lasse Ihre Urlaubsträume wahr werden- ganz bequem von zuhause aus! UNSERE
• Hochzeitsreisen und Flitterwochen • Pauschalreisen und Kreuzfahrten • Skiurlaube • Geschäftsreisen • Städtereisen • Gruppenreisen • Event-Reisen … und vieles mehr Ich freue mich auf Ihre Anfrage! Weitere Informationen gibt es unter Miriam.michelbrger@suntrip.de bzw. www.suntrip.de // PR-Info
28 HOCHZEITS FOTOS 2022 PZ 20 | 13. OKTOBER 2022
Sandra
Pallhuber und Gabriel
Schnarf
geheiratet am 18.06.2022
Daniela
Conrater und Hannes Steger geheiratet am 12.03.2022 in Mühlbach
Michaela Unterhofer und Christian Steinhauser geheiratet
am 01.10.2022
Sonja
Brugger und Timothy M. Conley geheiratet am 24.9.2022 in Maria Saalen
Elisabeth Tasser und Fabio Cento geheiratet
am 01.10.22 in Hl. Geist
Julia Kirchler
und Markus
Knapp geheiratet
am 25.06.2022

Wer:

Was:

Wo: SiMedia / Niederdorf (seit Mai 2022 auch mit Filiale in Bruneck)
Reinhold Sieder (CEO), Ivan Sieder (CTO / zukünftiger CEO) & die SiMedia-Family
Business Talk & Tag der offenen Tür anlässlich des 25-jährigen Firmenjubiläums Highlight: Besucher*innen konnten sich ein Bild davon machen, warum SiMedia in der digitalen Vermarktung von Hotels und Destinationen zu den führenden Agenturen Südtirols gehört. , Handwerkerzone 12, I-39039 Niederdorf Anzeige SiMedia: 25 Jahre WWWeitblick
Gründer und Geschäftsführer von SiMedia: Reinhold Sieder Hotelier Stefan Fauster und Moderatorin Verena Duregger Der Nachmittag wurde von der Niederdorfer Böhmischen musikalisch umrahmt. Robert Leiter und Arnold Malfertheiner, Präsident der Werbefachleute im hds Kreativ- & Schminkecke, Tattoos, Märchenstunde & Co. – mit den „Kinderfreunden Südtirol“ und Geschichtenerzählerin Margareta Fuchs. Der SiMedia-Kennenlernparcours begeisterte Klein und Groß mit spannenden Fragen zu digitalen Themen. Referentin Marion Niederkofler und Martin Huber, Präsident des Tourismusvereins Bruneck Die Hotelierinnen Emma Fauster, Sandra Gasser, Giulia Call und Nina Kammerer Eintauchen in die virtuelle Welt des Reisens –im Rahmen einer lehrreichen Bürobesichtigung war’s möglich. Clown Malona war immer für einen Scherz zu haben –ganz zur Freude der vielen kleinen Besucher*innen. Referentin Prof. Linda Osti und Unternehmer Erich Falkensteiner Alle Fotos: SiMedia Markus Schaller sowie Walter Felderer vom OK-Team des Gsiesertal-Laufs und Klaus Rainer, Bürgermeister von Innichen Leckeres Eis, ein Food Truck, Flying Fingerfood, coole Drinks und Herzhaftes von den Niederdorfer Bäuerinnen. Rund 60 interessierte Besucher*innen nahmen am SiMedia-Business-Talk „Tourism: What’s Next?“ teil. Singer-Songwriter Manuel Rainer ließ den rundum gelungenen Tag rockig-lässig ausklingen.

Die Dialogreihe ist wieder am Start

Seit 2015 findet die gemeinsam mit „Zigori LAB“ und in Kooperation mit dem „KVW-Bezirk Pus tertal“ organisierte Dialogreihe nun schon im UFO statt und wird stets mit regem Interesse von einem begeisterten Publikum verfolgt. Mit „start.klar.“ baut das UFO nämlich sein gesellschafts politisches Engagement aus und bietet Platz für Begegnung, Information und Debatte. Die aktu elle Ausgabe der Veranstaltungsreihe behandelt dieses Mal die Themenfelder Politik und Verant wortung, Overtourismus, Nachhaltigkeit und Natur, Krieg und Frieden, Arbeit und Gerechtigkeit.

In der vergangenen Ausgabe der start.klar-Reihe fand eine intensive Auseinandersetzung mit dem Wandel und der Vielfalt in allen Le bensbereichen statt. Dabei wurde klar, dass wir uns als Menschen befähigen sollten, den Wandel auf der Grundlage gemeinsamer Wer te zu gestalten. Nur so gelingt es, eine gute Zukunft zu bauen. Auf diesem Hintergrund präsentiert die Arbeitsgruppe rund um Vere na Aschbacher, Monika Gatterer, Elisabeth Steinhauser, Hanspeter Niederkofler, Gunther Niedermair und Markus Lobis – letzterer fun giert bei der Dialogreihe wie immer als Moderator – auch bei der ak tuellen Auflage wiederum eine vielschichtige Reihe an vier Aben den von Oktober bis Februar.

DIE ROLLE DER POLITIK

Der erste Abend am Montag, den 24. Oktober 2022, beschäftigt sich mit der Frage, was sich die Bürgerinnen und Bürger von der Politik erwarten und ob die Demokratie in Gefahr ist? Politik hat aktuell nicht den besten Ruf. Und natürlich gilt das auch für diejenigen, die sie machen. Die politischen Institutionen aber auch unsere demo kratische Grundordnung werden durch offensichtliches Versagen der Menschen in der Politik immer öfter in Frage gestellt. Skanda le, Lobby-Hörigkeit, Hahnenkämpfe und Rivalitäten unter politi schen Seilschaften sind auch in Südtirols Politik zum Alltagsthe ma geworden. Zu Gast ist Rosmarie Pamer, Bürgermeisterin von St. Martin in Passeier und kritischer Geist in der SVP. Weiters stellt Ze no Oberkofler, einer der Köpfe der Fridays For Future-Bewegung in Südtirol, klare Forderungen an die Politik.

Rassegeflügel

HOTSPOT DOLOMITEN?

Der zweite Abend am 28. November beschäftigt sich mit dem Thema „Natur- und Freizeitraum in Bergregionen“. Während die Entschei dungsträgerinnen und -träger auffallend oft den Begriff der Nach haltigkeit in den Mund nehmen, hören wir Tag für Tag von neuen Großevents und Infrastrukturträumen. Über allem schweben die Wundermittel Großevents und Olympia, die Milliarden für genau je ne Strukturen und Vorhaben in die Dolomiten spülen, die von Öko loginnen und Ökologen, sowie Klimaforscherinnen und -forschern als Treiber des Klimawandels eingestuft werden. Gibt es Möglich keiten, die widerstrebenden Interessen in dieser Gemengelage unter einen Hut zu bekommen oder braucht es ein radikales Umdenken? Am Podium nimmt Claudia Plaikner Platz, die Obfrau des Landes verbandes für Heimatpflege Südtirol. Sie beleuchtet die zunehmen de Übernutzung der Naturräume durch Wirtschaft und Großevents

WIRTSCHAFT & UMWELT 30 PZ 20 | 13. OKTOBER 2022 DAS PROJEKT „START.KLAR“
Rosmarie Pamer und Zeno Oberkofler kommens ins UFO nach Bruneck.
K.V.S.1. Pustertal Herbstschau 2022 Rassekaninchen und
Mostra conigli/avicoli di razza

in den Alpen sehr kritisch. Der zweite Gast ist Lorenz Leitgeb, Prä sident des Biathlon Weltcup Komitees. Er kennt die Anforderungen und Auswirkungen von Großveranstaltungen auf die Region und die dort lebenden Menschen und meint: „Die Olympischen Spie le können kommen.“

PUTIN, SELENSKYJ, WIR

Am 19. Jänner 2023 steht das Thema „Konflikte und Ursachen“ ins Zentrum. Wir hatten es uns so gemütlich eingerichtet, im Nach kriegseuropa. Der Zerfall des Nachbarlandes Jugoslawien und die daraus resultierenden Kriege am Balkan sorgten für Ernüchterung. Und nun tobt in unmittelbarer Nähe ein neuer Krieg, der geopoli tische Frontstellungen verhärtet und der sehr schnell außer Kon trolle geraten könnte. Und wir liefern Waffen und brauchen Gas…

zweite Gast des Abends, ist Philosoph, Historiker und Medienwis senschaftler und beschäftigt sich intensiv mit Konfliktforschung.

ARM TROTZ ARBEIT

Zum Abschluss der Reihe am 16. Februar 2023 zeigt der Kulturfor scher und Soziologe Davide Brocchi auf, dass es keine Nachhal tigkeit ohne soziale Gerechtigkeit geben kann. Auch die Gewerk schafterin Yvonne Peruzzi beschäftigt sich tagtäglich mit dieser

Brocchi.

Frage. Der Verteilungskampf spitzt sich zu, die globale Ungerech tigkeit verschärft sich, wer reich ist, wird reicher, der Mittelstand gerät in einen gefährlichen Abwärtsstrudel. Und auch bei uns ist Arbeit kein Garant für die Existenzsicherung mehr. Wie kann es die Gesellschaft schaffen, den dringend erforderlichen Ausgleich herbeizuführen?

Dieser Dialogabend wird gemeinsam mit der Ju gendorganisation des SGB/CISL organisiert. // jst

Die Journalistin Daniela Prugger aus Olang ist hautnah am Gesche hen. Seit drei Jahren lebt sie in Kyjiw in der Ukraine und berichtet für verschiedene Medien aus dem Kriegsgebiet. Kurt Gritsch, der

Die Dialogabende finden bei freiem Eintritt im UFO-Saal statt.

Beginn jeweils um 20 Uhr, Reservierungen sind erwünscht.

Zudem werden die Veranstaltungen

als Livestream auf

angeboten. Weiters können die Dia logabende auch auf der Facebook-Seite des UFO verfolgt wer den: www.facebook.com/UFObruneck

Für den Livestream ist keine Anmeldung bzw. Passwort er forderlich.

Alle Infos

WIRTSCHAFT & UMWELT 31PZ 20 | 13. OKTOBER 2022
digital
der Website www.salto.bz
& Reservierungen: www.ufobruneck.it.
Die Veranstaltung am 28.11.2022 mit Claudia Plaikner und Lorenz Leitgeb. Daniela Prugger und Kurt Gritsch stellen sich am 19.01.2023 der Debatte.
Der Schlusspunkt am 16.02.2023 mit Yvonne Peruzzi und Davide
„Nur die beste Musik für die besten Hörer!“ Elmar Aichner (Musik-Redakteur) www.radioholiday.itT. 393 22 33 222

DER WEG ZUR KLIMA- UND ENERGIE-MODELLREGION

Im Rahmen einer Auftaktveranstaltung am 30.09.2022 wurde ein Treffen zur Erstellung der Klimaschutzpläne im gesamten Pustertal abgehalten. Mit dabei waren die Bürgermeis ter und Vertreter der Pustertaler Gemein den, sowie die kommunalen Nachhaltig keitsbeauftragten. Alle Gemeinden müssen die Klimaschutzpläne erstellen. Doch der Präsident der Bezirksgemeinschaft, Robert Alexander Steger will mehr: Er möchte das Pustertal zu einer Klima- und Energie-Mo dellregion machen. Unterstützt wird die Be zirksgemeinschaft bei diesem Vorhaben vom Regionalmanagement Pustertal als zentra le Managementstelle. In den folgenden Mo

ST. LORENZEN

naten sollen dann konkrete Ergebnisse ge liefert werden. // rewe

REPARIEREN WAS SICH LOHNT

In St. Lorenzen wird am 15. Oktober 2022 von 14 bis 17 Uhr wieder ein Repaircafé ange boten. Es findet im alten „Inso-Haus“ statt. Diese ehrenamtliche Einrichtung gibt es zwei Mal jährlich. Jede und Jeder ist einge

laden, kaputt gegangene Gegenstände oder auch Kleidungsstücke vorbeizubringen, da sie – wenn es noch irgendwie geht - unter fachkundigen Händen wieder instand ge setzt werden können. Das spart Geld und

Ressourcen. Darüber hinaus gibt es Kaf fee und Kuchen. Gerne kann man beim Zu schauen mitlernen, auch wird ein ausgebil deter Gärtner Fragen zum Überwintern des Gartens beantworten. // ms

FinanzFlash 10 Jahre Freie Berufe & Ärzte - Spezialisierung aus Überzeugung

Nähe im Denken und Handeln, lokale Verwurzelung und greifbare Werte sind unsere Markenzeichen als Genossenschaftsbank.

Entsprechend dem Leistungs versprechen MEHR.WERT. LEBEN. hat die Raiffeisenkasse Bruneck als erste Bank in Süd tirol vor 10 Jahren mit einem eigenen Betreuungskonzept für Freie Berufe & Ärzte neue Wege beschritten.

Im Sinne der ganzheitlichen Beratung werden seither Ärzte, Zahnärzte, Tierärzte, Apotheker, Rechtsanwälte, Wirtschafts berater, Architekten, Ingenieure, Geometer sowie Physiothera peuten und Psychologen beim Erreichen ihrer privaten und be ruflichen Ziele in einem eigenen Kompetenzzentrum betreut . Ob Anliegen im Anlage- oder Kredit bereich, Versicherungen oder Pensionsvorsorge, ein spezia lisiertes Team an BeraterInnen

kümmert sich um alle Finanzan gelegenheiten und ermöglicht unseren KundInnen in allen Lebensphasen Betreuung aus einer Hand.

Wir unterstützen unsere Kun dInnen in ihren Entscheidungen mit unserem Wissen über die Herausforderungen der Bran chen und Besonderheiten der jeweiligen Kammern und Pen sionskassen, das wir über Jahre gesammelt haben. Die Nähe im Denken und Handeln ebnet den Weg zu optimalen Lösungen.

Vor allem der Weg in die Selbst ständigkeit ist mit vielen Her ausforderungen und zeitlichem Aufwand verbunden. Dieser große Schritt ist in den von uns betreuten Kundengruppen ein starker Trend. So sind wir bei

spielsweise bei Praxisgründun gen ein kompetenter Ansprech partner mit entsprechender Erfahrung.

Mittlerweile gehören rund 700 Kunden mit einem Geschäfts volumen von 138 Mio Euro dem Bereich Freie Berufe & Ärzte an. Die Kundenzufriedenheit und Weiterempfehlung unserer Leis tung bestätigen uns, dass wir mit dem spezifischen Betreuungs konzept Freie Berufe & Ärzte den richtigen Weg beschreiten, und sind uns Ansporn auch in Zukunft Mehrwert zu bieten.

WIRTSCHAFT & UMWELT 32 PZ 20 | 13. OKTOBER 2022
BEZIRKSGEMEINSCHAFT PUSTERTAL
raiffeisen-bruneck.com Gerlinde Gatterer Freie Berufe & Ärzte Verantwortliche
Werbeanzeige
Der Präsident der Bezirksgemeinschaft, Robert Alexander Steger, referiert vor den zahlreichen Gästen.

Freie Berufe & Ärzte

Das Kompetenzzentrum in der Raiffeisenkasse Bruneck. Werbeanzeige 10 JAHRE Erfahrung | Wissen | Kompetenz Spezialisierung aus Überzeugung.
GerlindeGatterer,VerantwortlicheFreieBerufe&Ärzte BenjaminKostner,Bereichsleiter-Stellvertreter

Der Weg ist das Ziel

Ziel und Zweck des Alpenvereins ist laut Satzung unter anderem das Bergsteigen, Wandern und andere alpine Sportarten zu fördern und die Kenntnis der Gebirge zu verbreiten.

Außerdem sollen Wege und Steige instandgehalten werden, wo es sinnvoll ist.

Die Sektion des Alpenvereins Ahrn

tal betreut circa 100 Kilometer Wanderwege in ihrem Gebiet. Die se müssen kontrolliert und gepflegt wer den. Die meisten der anfallenden Arbeiten werden auf freiwilliger Basis durchgeführt, nur die größeren Projekte werden vergeben und mithilfe von Firmen und schwerem Ge rät erledigt.

Dazu gehört der Bau des Verbindungswe ges Trippachtal ins Frankbachtal über die Marbelfleckscharte, durchgeführt durch die Forstarbeiter. Die Kosten beliefen sich auf circa 80 000 Euro, diese Finanzierung wur de durch Eigenmittel, Beiträge der Fraktion St. Johann, des Tourismusvereins Ahrntal,

der Gemeinde Ahrntal und des Landes Süd tirol gedeckt.

Außerdem wurden der Abbau der alten baufälligen Brücke am Keilbachmoos und die Befestigung einer neuen Überführung mittels Hubschraubertransport zu Ende ge bracht.

VIELE PROJEKT UMGESETZT

Ein großes Projekt war die Sanierung des Kellerbauerweges unterhalb des Ringel steins. Auf Anregung des Grundbesitzers Gregor Kirchler und dank einer großzügigen Spende von 30 000 Euro durch Frau Mudra aus Berlin konnte der abschüssige Weg wan dertauglich und sicher befestigt werden. Ein

Projekt, das durch die gute Zusammenarbeit mit der Gemeindeverwaltung, der ausfüh renden Firma Brunner und Leiter, der Forst behörde und dem TV Ahrntal in Rekordzeit umgesetzt werden konnte. Manchmal geht’s auch unbürokratisch!

Dass alle Wanderwege im Ahrntal in sehr gutem Zustand sind, ist einigen Freiwilligen des AVS zu verdanken. Die Zuständigkeit für die Wege ist genau eingeteilt, dies hat derleider zu früh verstorbene - ehemalige Prä sident Peter Innerbichler in seiner Amtszeit eingeführt. Bis zu den bewirtschafteten Hüt ten obliegt die Verantwortung dem Touris musverein Ahrntal, oberhalb geht sie an den Alpenverein über.

WIRTSCHAFT & UMWELT 34 PZ 20 | 13. OKTOBER 2022 AHRNTAL
Der neu befestigte Wegabschnitt unterhalb des Ringelsteins. Die neue Brücke im Keilbach wird befestigt. Eine mühevolle, aber überaus wichtige Arbeit. Dafür gebührt allen ein Dank. Fotos: Alfred Stolzlechner Freizeitbeschäftigung für die Sicherheit der anderen.

DIE GROSSE HELFERSCHAR

Und hier kommt die Helferschar des AVS ins Spiel, circa 20 Männer und auch eine Frau die sich von der anstrengenden körperlichen Arbeit nicht abschrecken lässt. In ihrer Frei zeit stellen sie sich jedes Jahr für die Wege pflege zur Verfügung. Am Anfang des Jah res werden die Wegabschnitte „übergeben“, im Laufe der schneefreien Monate gehen die freiwilligen Helfer die Wege ab, beseitigen Steine und erneuern die Markierungen. Sie kontrollieren und befestigen die Halteseile wo es notwendig ist und schaffen so Sicher heit für das Wandervolk. Unbezahlt und frei willig, einzig die Verpflegung geht auf Kos

bedeutet Arbeitssicherheitskurse wie Motor sägekurs oder Ausbildungen zur Befestigung von Halteseilen müssen absolviert werden.

VIEL IDEALISMUS

Es braucht eine Menge Idealismus oder wie Walter Innerbichler, Vizepräsident und seit über 30 Jahren AVS-Mitglied sagt: „Man wächst in die Aufgaben hinein, wir haben eine nette homogene Truppe und eine tolle Gemeinschaft und so sieht man dies nicht als Arbeit an, eher als Freizeitbeschäftigung!“

In den letzten Jahren waren bedingt durch den Sturm Vaja und den Schneedruck vie

wurden bestens instand gesetzt, die alten Halteseile auf dem Lausitzerweg werden ausgetauscht und durch genormtes und zer tifiziertes Material ersetzt. Dies sind nur ei nige Projekte, die durch die freiwilligen Hel fer des AVS Ahrntal realisiert wurden und werden.

Sollten Sie, lieber Wanderer, liebe Bergstei gerin eine Gruppe von Leuten mit schwe ren Rucksäcken und Arbeitsgeräten auf den hochgelegenen Wegen rund ums Toul sehen, so sind dies wahrscheinlich die guten Geister des AVS Ahrntal, die sich darum kümmern dass Sie gute Bedingungen auf ihren Wan

WIRTSCHAFT & UMWELT 3513. OKTOBER 2022
coronaschutzimpfung.it GEMEINSAM STARK JETZT IMPFUNG AUFFRISCHEN!
Neue
Halteseile und schöne Stufen. Sicheres Bergsteigen durch das neue Seil am
Schönberg.

REFORM DES STEUERPROZESSES

EINMALIGE ZULAGE VON 150

FÜR ARBEITNEHMER

Mit dem Gesetz Nr. 130/2022 wurde in Italien der Steuerprozess reformiert.

Ziel der Reform ist es, die Steuer-Gerichtsbarkeit unabhängiger und schlanker zu machen, die Gleichstellung des Rekursstellers mit der Steuerbehörde zu garantieren, sowie die Definition der Streitigkei ten mittels Vergleich zu fördern.

Die wichtigsten Neuerungen sind folgende:

• Die „Steuerkommissionen“ ersten und zweiten Grades werden in „Gerichte für die Steuer-Gerichtsbarkeit“ (Corte di gius tizia tributaria di I. e II. grado) umbenannt.

• Die Honorarrichter werden schrittweise durch Berufsrichter er setzt, die Richterzahl wird erhöht.

• Die Steuerrekurse werden wie bisher von einem Richterkollegium entschieden; für Streitigkeiten bis zu einem Wert von 3.000,Euro ist ab jetzt in erster Instanz jedoch ein Einzelrichter zu ständig.

• Die Verhandlungen vor dem Einzelrichter müssen, und alle an deren Verhandlungen können (auf Antrag der Parteien), per Vi deokonferenz stattfinden.

• Am Kassationsgerichtshof wird eine eigene Sektion für Steuer recht eingerichtet. In dieser „dritten Instanz“ werden wie bisher nur Rechtsfragen entschieden und es braucht zwingend den Bei stand eines Rechtsanwaltes.

• Es besteht eine verstärkte Beweispflicht zu Lasten der Steuerbehörde, welche die in der angefochtenen Maßnahme enthaltenen Vorhaltungen beweisen muss.

• Neu ist, dass „bei Notwendigkeit“ der schriftliche Zeugenbe weis zugelassen wird.

• Falls eine der Parteien oder der Richter einen Vergleichsvor schlag unterbreitet, welchen die andere Partei nicht annimmt, muss letztere um 50% erhöhte Prozesskosten bezahlen, wenn das Urteil ihre Ansprüche in kleinerem Maße anerkennt als der Vergleich.

• Neu ist die Möglichkeit, gewisse Verfahren, welche bis 16.09.2022 vor dem Kassationsgerichtshof anhängig wa ren, mittels (kurzfristig einzubringendem!) Antrag mit einer Abschlagszahlung zu beenden, und zwar:

a) Verfahren, bei denen die Steuerbehörde in beiden Instanzen vor den (ehemaligen) Steuerkommissionen zur Gänze unter lag und deren Streitwert bis zu 100.000,- Euro ist, durch Be zahlung von 5% des Streitwertes; b) Verfahren, bei denen die Steuerbehörde in nur einer meritori schen Instanz ganz oder teilweise unterlag und deren Streit wert bis zu 50.000,- Euro ist, durch Bezahlung von 20% des Streitwertes.

Die Reform enthält einige wichtige Neuerungen. Kritikpunkte sind jedoch, dass die Steuerrichter vom Finanzministerium abhängen werden, und dass die Mediationsverfahren der Agentur der Einnah men zugeteilt wurden.

€Dr. Gerd Baumgartner Baumgartner.Partner GmbH Wirtschaftsprüfung und Steuerberatung Bruneck

Um den wirtschaftlichen Auswirkungen der Inflation und der Energiekrise entgegenzuwirken, hat die alte Regierung wenige Tage vor den Wahlen das so genannte „Decreto Aiuti-ter“ (Gesetzesdekret 144/2022) genehmigt, das neue Maßnahmen zur Einkommensstützung für Familien und Unternehmen enthält. Zu den Bestimmungen, die für Familien von größtem Interesse sind, gehört zweifellos die Wiedereinführung des „200-€-Bonus“, der im „Decreto Aiuti“ (Gesetzesdekret 50/2022) vorgesehen war, wenn auch in geringerem Umfang.

Bekanntlich sah das „Decreto Aiuti“ die Auszahlung einer einmali gen Beihilfe von 200 € an alle im Juli 2022 eingestellten Arbeitneh mer vor, die im ersten Halbjahr 2022 mindestens einen Monat lang eine INPS-Grundlage von weniger als 2.692 € hatten.

Für Rentner hingegen galten andere Voraussetzungen: Sie erhiel ten die Zulage im Juli von Amts wegen, wenn sie im Jahr 2021 ein zu versteuerndes IRPEF-Einkommen von höchstens 35.000 € hatten. Selbstständige und Freiberufler mussten ebenfalls ein Gesamt einkommen von nicht mehr als 35.000 € im Jahr 2021 haben, aber im Gegensatz zu den Rentnern mussten sie einen eigenen Antrag einreichen.

Mit dem „Decreto Aiuti-ter“ ist nun vorgesehen, dass alle Arbeitneh mer, die im November 2022 eine INPS-Grundlage haben, die den Betrag von 1.538 € nicht überschreitet, und die keinen Anspruch auf Renten oder andere Leistungen seitens des INPS haben, direkt im Lohnstreifen eine einmalige Zulage von 150 € erhalten. Dieser Betrag wird automatisch vom Arbeitgeber ausgezahlt, wobei der Arbeitnehmer lediglich eine schriftliche Selbsterklärung abgeben muss, mit welcher er bescheinigt, dass er keinen Anspruch auf eine Leistung des INPS hat.

Die besagte Zulage: ist in voller Höhe zu zahlen, auch wenn der Arbeitnehmer im No vember nur wenige Tage beschäftigt ist; muss im Falle eines Teilzeitvertrages nicht verhältnismäßig be rechnet werden; ist nur einmal fällig, auch wenn die Person im November zwei Arbeitsverhältnisse hat; ist nicht übertragbar, kann nicht gepfändet werden und stellt kein steuerpflichtiges Einkommen dar.

Wie bei der Juli-Zulage gelten für andere Kategorien (nicht Arbeit nehmer) andere Kriterien und Regeln: Rentner, die die Zulage automatisch erhalten, ohne dass sie einen Antrag stellen oder eine Erklärung abgeben müssen, müs sen am 1. Oktober 2022 Rentner sein und im Jahr 2021 ein der IRPEF unterliegendes persönliches Einkommen von höchstens 20.000 € gehabt haben; Selbstständige und Freiberufler dürfen im Jahr 2021 ein Gesamt einkommen von höchstens 20.000 € gehabt haben. Da diese Personen die 200 € Zulage noch nicht erhalten haben und die Antragsfrist noch nicht abgelaufen ist, ist bis heute nicht klar, ob sie zwei getrennte Anträge stellen müssen oder ob die bis herigen Anträge ergänzt werden. //

WIRTSCHAFT & UMWELT 36 PZ 20 | 13. OKTOBER 2022
//

GEFÜHRTE BAUSTELLENBESICHTIGUNG IN ST. MARTIN

Die Vinschger holzius GmbH produziert Voll holzelemente, die ohne Leim und Metall für gesunde Wohn- und Lebensräume garan tieren. Der Leistungsumfang des Betriebes reicht von der Lieferung der Vollholzelemen te über geschlossene Gebäudehüllen bis hin zu schlüsselfertigen Gebäuden, die in Zu sammenarbeit mit Partner-Unternehmen umgesetzt werden.

Am 29. Oktober 2022 findet in St. Martin in der Gemeinde St. Lorenzen eine geführ te Baustellenbesichtigung statt. Ab 10:00 Uhr präsentieren die Bauleute, Architekt Andreas Kronbichler, Zimmerer Alexander Gruber, Lehmbauer Patrick Plattner und holzius Berater Seraphin Stecher wie ein Vollholzhaus geplant, produziert und ge baut wird.

Mehr als nur GRÜN

Glück hat einen Namen: Garten! Es ist der Ort, wo wir leben und entspannen, feiern und genießen. Individuell auf die Bedürfnisse des Menschen zugeschnitten sollte kein Garten dem anderen gleichen.

Eine Anmeldung ist aufgrund der begrenz ten Teilnehmerzahl unbedingt erforderlich.

Möchten auch Sie die holzius-Bauweise ken nenlernen?

// PR-Info

Zum Anmelden QR-Code scannen.

Wie sieht der eigene Traumgarten aus? Die Natur bietet eine Viel zahl an Farben, Klängen, Düften und Stimmungen. Gartengestal tung wird zum Erlebnis und der Garten verwandelt sich zum per sönlichen Lieblingsort. Unabhängig ob die gesamte Neugestaltung oder die Umgestal tung eines Teilbe reichs vorgenom men werden soll, kann auf die Exper tise der kompeten ten Mitarbeiter der Baumschule Putzer hof gebaut werden. Liebe zum Detail, kreative und planeri sche Individualität, höchste handwerkliche Qualität sowie langjährige Erfahrung setz ten Gartenträume um. Ob Designfreund, Ästhet, Genießer oder Na turmensch zeigt sich der Garten als Spiegelbild seiner Bewohner. Dank der hohen Qualität und der Berücksichtigung der individuel len Bedürfnisse verwandelt das Team von Baumschule Putzerhof je den Garten in ein grünes Wohnzimmer, ganz nach dem Motto: „Wir arbeiten - Sie genießen!“.

// PR-Info

SCHAUFENSTER 37PZ 20 | 13. OKTOBER 2022 BAUMSCHULE PUTZERHOF
HOLZIUS

Beten für den Frieden

Jedes Jahr findet in Bruneck am letzten Samstag im Monat September das Interreligiöse Gebet statt, veranstaltet vom Verein „InterKult“ in Zusammenarbeit mit vielen weiteren engagierten Mitorganisatorinnen und Mitorganisatoren sowie den Kapuzinern. Die aktuelle Auflage wurde dieses Jahr aufgrund des Regenwetters allerdings nicht wie gewöhnlich im Kapuzinerpark abgehalten, sondern in der Kapuzinerkirche, was der besinnlichen Atmosphäre aber keinesfalls Abbruch tat.

Die Tradition des Interreligiösen Ge bets geht auf Papst Johannes Paul II. zurück, der im Jahre 1986 Vertre ter verschiedener Religionen zum gemein samen Gebet nach Assisi eingeladen hatte, ebenso wie auf den Jerusalem-Besuch vom Papst Franziskus im Jahre 2013. Die Kernes senz liegt darin, dass Frauen und Männer verschiedener Weltreligionen zusammen für

nen inneren Frieden kennt, wird ihn auch in der Begegnung mit anderen Menschen nicht finden.“ Ein überaus wichtiges Anlie gen, das wir alle derzeit mehr denn je unter streichen dürften…

BETEN FÜR FRIEDLICHES

ZUSAMMENLEBEN

Beim gemeinsamen Gebet in Bruneck trugen Dekan Josef Knapp und die Kapuzinerbrü der Markus Kerschbaumer und Piotr Panc

ein gemeinsames Anliegen beten – für den Frieden in der Welt, zwischen Menschen und Religionen und im eigenen Herzen. Denn von dort geht der Friede aus, wie es auch der Dalai Lama ausdrückt: „Wer selbst kei

Wir bieten

Wir bieten

… Reparaturdienste für Geräte der Marken Miele, Siemens, Bosch und viele mehr … TEL. 0474 375000

… Reparaturdienste für Geräte der Marken Miele, Siemens, Bosch und viele mehr … TEL. 0474 375000 REPARATURDIENSTE für Geräte der führenden Marken T. 0474 375 000

38 VEREINE & VEREINSLEBEN PZ 20 | 13. OKTOBER 2022
INTERRELIGIÖSES GEBET IN BRUNECK
Auch heuer fand das interreligiöse Gebet statt, das vom Verein „InterKult“ organisiert wurde.
Trotz
schlechtem Wetter fanden
sich viele
Gläubige zum gemeinsamen Gebet ein.
Bildbeschreibung

zak christliche Gebete und Bibelexte über Geschwisterlichkeit und friedliches Zusam menleben vor. Die Vorbeterin des Islam hob hervor, dass der Friede im Islam „ein Glau be, ein Verhalten und eine Anbetung“ sei und die Menschen „Brüder in der Mensch heit“ seien. Auch der Vorbeter des Hinduis mus hatte ein Gebet über die Menschlichkeit ausgewählt. Die Vorbeterin des Buddhismus trug ein „Herzen Mantra“ vor, das drei Grün de für das Leiden der Menschheit und die Entstehung von Krieg nennt: Gier, Wut und Ignoranz.

FRIEDEN FÜR DIE GANZE WELT

Im gemeinsamen Anzünden der Friedens kerzen kam das Verbindende und der ge meinsame Wunsch nach Frieden noch einmal sichtbar zum Ausdruck. Einige Schü lerinnen des SoWi-Gymnasiums bereicher ten das Interreligiöse Gebet mit passend aus gesuchten und einfühlsam vorgetragenen Liedern. Im Anschluss an das Gebet klang der Nachmittag bei einem kleinen Büffet vor der Kapuzinerkirche aus, eine nette Mög lichkeit für Begegnung und Austausch zwi

schen Menschen verschiedenster Kulturen, Religionen und Generationen, und ganz all gemein als Veranstaltung ein gelungenes Beispiel, wie der Dialog in den zwischen menschlichen Beziehungen auf ein friedli

ches Zusammenleben der Menschen positiv einwirken kann. Im kommenden Jahr feiert das Interreligiöse Gebet dann sein zwanzig jähriges Bestehen, Interessierte sollten sich den Termin also schon einmal im Hinter kopf behalten, herzlich willkommen ist je de/r, der den Wunsch nach Frieden und Zu sammenhalt im Herzen trägt. // jst

Wirsuchen

39
VEREINE & VEREINSLEBEN
PZ 20 | 13. OKTOBER 2022
Tel.: 0472 86 90 29 www.gruber-steinmetz.it Handwerkerzone 2, 39030 Vintl - Südtirol
MITARBEITER
Eine
ganze Reihe an
engagierten Menschen brachten sich ein und organisierten eine tolle Begegnungsreihe. Das kam wiederum gut an. Denkan Josef Knapp Kapuzinerchef Markus Kerschbaumer Durch
das gemeinsame Anzünden der Friedenskerze wurde um Frieden für die ganze Welt gebetet.

DIE PERSONENSUCHE AM GETZENBERG

Auf Initiative der Feuerwehr Ehren burg trafen sich heuer verschiede ne Blaulichtorganisationen zum gegenseitigen Kennenlernen und Gedankenaustausch. Mit dabei wa ren auch insgesamt neun Drohnen gruppen von Feuerwehr, Bergret tung und Forstdienst. Es war diese eine Veranstaltung, die in dieser Form zum ersten Mal in Südtirol stattfand.

Die Verbreitung von Drohnen im kom merziellen und privaten Umfeld in den letzten Jahren, hat auch bei den Blaulichtorganisationen eine Diskus sion über die einsatztaktischen Mög lichkeiten von Multicoptern angeregt, sodass nun mehrere Drohnen, über das ganze Landesgebiet verteilt, bereits im Einsatz sind. So stand das Kennenlernen und „Voneinander-Lernen“ an diesem Tag im Vordergrund.

Der Vormittag wurde zum gegenseitigen Austausch genutzt, wobei jede der beteilig ten Gruppen ihr Fluggerät, sowie die Zusatz ausrüstung vorstellte. Erfahrungen aus Ein satz und Übung wurden miteinander geteilt und Möglichkeiten zur noch engeren Zusam menarbeit besprochen. Nach dem gemein samen Mittagessen wurde eine praktische

Übung abgehalten, bei der es insgesamt 16 Personen auf einem rund 75 Hektar großen Gebiet zu finden galt. Dabei wurden hoch auflösende Kameras, Wärmebildkameras und die Technik der Photogrammetrie ge nutzt, bei der ein zuvor durch eine Droh ne autonom abgeflogenes Gebiet durch eine Software ausgewertet wird.

SCHWIERIGE BEDINGUNGEN

Nach ca. 1,5 Stunden konnte die Übung, trotz schwieriger Voraussetzungen aufgrund

der hohen Temperaturen, erfolgreich abge schlossen werden. In einer kurzen Übungs nachbesprechung wurden die an die einzel nen Gruppen zugewiesenen Einsatzzonen, die Vorgehensweise und der Fundort der ver meintlich vermissten Personen besprochen. Aufgrund des durchwegs positiven Feed backs, sollen solche Übungen in Zukunft regelmäßig abgehalten werden. So wurden anschließend an die Veranstaltung bereits Ideen gesammelt und mögliche Übungsge biete ausgelotet. // ar

NEUE DREHLEITER ALS WERTVOLLE ERGÄNZUNG

Die Freiwillige Feuerwehr von Terenten ver fügt über ein neues Stückpunktfahrzeug. Die Rede geht von einer hochmodernen Dreh leiter, eine Rosenbauer L32A-XS auf einem Atego-Fahrgestell. Das Fahrzeug ist mit dem kompaktesten Leiterpark seiner Klasse aus gestattet und bietet gleichzeitig fünf Mann Platz im Korb. Dieser kann besonders varia bel eingesetzt werden: vom Löschen über den elektrisch gesteuerten Monitor, über die abnehmbare Front für die Kranken- oder Schwerlasttrage. Die neue Drehleiter hat ihre Feuertaufe bereits absolviert.

Das Einsatzfahrzeug kommt nicht nur in Terenten, sondern auch in den Nachbar gemeinden zum Einsatz. Im Rahmen eines Festaktes wurde das neue Gerät feierlich eingeweiht und offiziell seiner Bestimmung übergeben.

// rewe

Die neue Drehleiter im Einsatz gemeinsam mit der Forstbehörde bei der unter Naturdenkmal schutz stehenden besonderen Fichte in Issing.

40 VEREINE & VEREINSLEBEN PZ 20 | 13. OKTOBER 2022
Das Treffen der verschiedenen Drohnen-Gruppen in Ehrenburg brachte wertvolle Erkenntnisse.
FREIWILLIGE FEUERWEHR EHRENBURG
FREIWILLIGE FEUERWEHR TERENTEN
TAG DER OFFENEN TÜRSUPPLEMENT ZUR PUSTERTALER ZEITUNG (PZ) vom 13. Oktober 2022, JG 34, NR. 20-846 / 2022, EZLNR. 0,77 EUROPoste Italiane SpA Versand im Postabonnementges. Dekr. 353 / 2003 (abgeändert in Ges. 27/02/2004 Nr. 46) Art. 1, Komma 1, NE BOZENISSN 2532-2567 TAG DER OFFENEN TÜR & OFFIZIELLE ERÖFFNUNG INTERCABLE ARENA BRUNECK 29.10.2022 ab 10.00 Uhr

Willkommen zum Tag der offenen Tür!

Die Intecable Arena in Bruneck hat sich in voller Pracht entfaltet. Alle Vereine, der HC Pustertal, der HCP Junior, der Puster Ice Club, der Curling Club Südtirol und der Eisstockverein Bezirk Ost und viele weite re Nutzerinnen und Nutzer füllen die Struk tur täglich mit Leben. Auch im Premium Bereich finden viele kleinere und größe re Events statt, im Restaurant und Bar „Go West“ sowie im Sportshop „Pro Hockey“ gehen täglich viele Menschen ein und aus.

EIN ORT DER BEGEGNUNG

Die Intercable-Arena ist ein Ort der Gemein schaft und gemeinsam wollen wir auch den Tag der offenen Tür und die offizielle Eröff nung am 29.10.2022 gestalten und erleben. Ein tolles Programm für Groß und Klein war tet auf alle Besucherinnen und Besucher –vom bunten Kinderprogramm über Schnup

perstunden der verschiedenen Sportarten, der offiziellen Eröffnung, Führungen bis hin zu einer tollen Arena Show. Zum Abschluss ein Konzert der HF Rock Band sowie die Disco on Ice.

Für Speis und Trank sorgt das Team des „Go West“ mit speziellen Opening-Deals. Alle Kinder, Jugendliche, Familien und In terssierte sind herzlich dazu eingeladen –wir freuen uns auf Euch!

PZ 20 | 13. OKTOBER 2022 INTERCABLE ARENABRUNECK 2 www.arena-bruneck.com 29.10.22 / 10.00 SAMSTAG / SABATO www.egal.bz.it OFFIZIELLE ERÖFFNUNG 14.00–15.00 INAUGURAZIONE UFFICIALE SCHNUPPER STUNDEN 10.00–13.00 LEZIONI DI PROVA CONCERT HF ROCK BAND & DISCO ON ICE 18.00 ARENA SHOW 15.30–18.00
INTERCABLE ARENA IN BRUNECK
© Jürgen Eheim_Progress AG

Uhrzeit Programmpunkt

10.0013.00 Uhr

Lerne die Sportarten der Intercable Arena

kennen – der HC Pustertal, HCP Junior, Puster Ice Club, Curling Club Südtirol und Eisstockverein Bezirk OST haben ein span nendes Programm für Euch vorbereitet!

Schnupperstunden Eiskunstlauf, Eishockey und Stocksport (Schlittschuhverleih geöffnet)

Schnupperstunden Curling (bitte sauberes, und festes Schuhwerk mitnehmen)

Tanz und Bewegung, Glitzertattoos und vieles mit Puster Ice mehr warten auf Euch!

Arena-Sportarten-Quiz mit Verlosung

Mal-Atelier für Kinder

11.0012.00 Uhr Maskottchen Rufus und die Wolves laden zur Autogrammstunde

Uhrzeit Programmpunkt

11.30 Uhr Führungen durch die Arena in deutscher und italienischer Sprache

12.30 Uhr Technische Führung mit Arch. Carlo Calde ran

14.00 Uhr Offizielle Eröffnung der Intercable Arena mit Grußworten, Segnung und musikalischer Umrahmung des Minichors Bruneck

Moderation: Anna Zangerle

15.30 Uhr Führungen durch die Arena in deutscher und italienischer Sprache

15.30 Uhr Arena-Show mit den Vereinen der Intercable Arena

ab 18.00 Uhr Konzert der HF Rock Band

DISCO ON ICE (Schlittschuhverleih geöffnet)

Als innovativer Technologiepartner entwickeln wir maßgeschneiderte Lösungen und zählen welweit als Begriff für höchste Qualität und Zuverlässigkeit. Unser breitgefächertes Produkt- und Leistungsspektrum reicht von der Entwicklung und Produktion von Kunst stoffkomponenten über Lösungen für Hybrid- und E-Fahrzeuge bis hin zu Spezialwerkzeugen und Verbindungsmaterial für die Bereiche Energie, Bahn und Wind.

Unser Erfolgsrezept liegt in der Identifizierung und Entwicklung von Marktnischen im Technologiebereich. Dabei stehen wir für Innovation, Schnelligkeit und Dynamik. Das wichtigste ist aber unser junges und motiviertes Team, welches Tag für Tag einen großen Teamgeist und Zusammenhalt zeigt. Dies sind Attribute, welche uns mit der Intercable Arena und mit dem Sport verbinden.

Wir freuen uns auf die neue Saison und wünschen der Mannschaft viel Erfolg!

PZ 20 | 13. OKTOBER 2022 DAS PROGRAMM SAMSTAG 29.10.2022
© Jürgen Eheim_Progress AG 3

Multifunktionsarena mit Fokus Eissport

Das Bauwerk mit seinem einzigartigen De sign und seiner charismatischen Architek tur und Funktionalität liegt in strategisch günstig gelegener Position an der Stadtein fahrt West direkt an der größten Schulzone des Landes. In unmittelbarer Nähe befin den sich auch viele weitere andere wichti ge Sportinfrastrukturen (Fußballplatz, Lauf bahn, Kletterhalle), sowie die wichtigsten Anbindungen des öffentlichen Nahverkehrs. Die Intercable Arena ist ein Ort der Gemein schaft und viele verschiedene Vereine ge stalten hier aktiv das Vereinsleben mit. Die Arena ist ein Projekt der Stadtgemein de Bruneck und der Stadtwerke Bruneck, unterstützt von der Autonomen Provinz Bo zen-Südtirol. Die Anlage wird von der Bru neck Aktiv GmbH geführt, einer Tochterge sellschaft der Stadtwerke.

10 JAHRE – VON DER ERSTEN IDEE BIS ZUR ERÖFFNUNG

Unglaubliche 10 Jahre sind von der ers ten Idee bis zur Eröffnung der neuen Are na vergangen. Im Jahr 2011 wurde die Idee geboren. Zwischen 2012 und 2014 wurden die urbanistischen Voraussetzungen am Grundstück und die grobe Finanzierung geschaffen. Gleichzeitig wurden viele ver schiedene Eisstadien besichtigt, dessen Erkenntnisse in ein Produktkonzept mit Raumprogramm gebracht wurden.

Im Frühjahr 2014 wurde der Architek turwettbewerb für die „Eissportanlage Bruneck“ ausgeschrieben. Dazu hatten 72 lokale, nationale und internationale

Architekturbüros ihr Interesse am Projekt bekundet. Am 29. Mai 2015 wurde das Pro jekt der Bietergemeinschaft rund um die Architekten CeZ aus Bozen zum Sieger projekt ausgewählt.

Vier weitere Jahre, in denen Vorprojekte, Ausführungsplanungen, Ausschreibun gen und Einrichtungspläne erarbeitet wur den, sind bis zum effektiven Baubeginn im Juli 2019 vergangen. In dieser Zeit wur de das Projekt ausfinanziert und von Sei ten der Stadtgemeinde an die Stadtwer ke Bruneck übergeben, welche fortan als Bauträger und schlussendlich auch Besit zer der Immobilie fungierten.

Der Spatenstich mit Grundsteinlegung am 7. September 2019 markierte den Baube ginn der neuen Arena.

MULTIFUNKTIONSARENA MIT FOKUS EISSPORT

Die Intercable Arena ist als moderne Mul tifunktionsarena mit Fokus Eissport kon zipiert und ist ein Ort der Gemeinschaft, der die Ausübung von verschiedenen Eissportarten wie Eishockey, Eiskunstlauf, Eislaufen, Curling und Eisstockschießen, aber auch Sledge Hockey, Short Track oder Broomball, ermöglicht. Außerdem bietet sie auch den perfekten Rahmen für Konzerte, andere Sportevents, Tagungen, Firmenevents und viele weitere kleinere und grö ßere Veranstaltungen.

Die Arena ist auch ein Schulsportprojekt des Landes und der Stadtgemeinde Bru neck. Hier finden Schulsportunterricht

PZ 20 | 13. OKTOBER 2022 INTERCABLE ARENABRUNECK 4
DIE INTERCABLE ARENA Der Baubeginn im Juli 2019. Intercable Arena Intercable Arena

und größere Schulsportveranstaltungen in einem wettergeschützten Rahmen statt. Zielgruppe sind Schülerinnen und Schü ler, sowie Studentinnen und Studenten al ler Schulstufen bis hin zur Freien Universi tät Bozen-Campus Bruneck.

EIN VORZEIGEPROJEKT

IM ALPENRAUM

Die Arena verfügt über drei Eisflächen. Die Eisflächen in der Haupthalle, sowie im über dachten Außenbereich entsprechen den gängigen internationalen Standards von 60x30 m. Die dritte Eisfläche ist dem Cur ling gewidmet, denn in der Arena befindet sich das Landesleistungszentrum des Cur lings und somit die einzige Curling-Halle in Südtirol. Neben dem professionellen Sport findet man in der Arena auch ein an sprechendes Freizeitangebot.

Die Arena bietet Platz für 3.100 Z Zuschaue rinnen und Zuschauer und bei Konzerten gar 4.000. Eine Besonderheit ist der fantas tische Blick auf die Eisfläche von allen Zu

schauerbereichen. Insgesamt befinden sich 234 Räumlichkeiten in der Intercable Arena.

Die Infrastruktur verfügt u.a. über 15 Umkleidekabinen, einen Fitnessraum, einen Gymnastikraum, einen Schlittschuhverleih, einen 250 m² Premium-Bereich und sechs Logen, sowie einen Medien- und Pressebereich.

In der Arena befindet sich auch eine Gastro nomie, das Restaurant GO WEST, wodurch es auch an Nicht-Event Tagen einen sozia len Treffpunkt gibt, sowie mehrere Kioske, welche zusätzlich während Veranstaltungen in Betrieb sind. Der Gastronomiebereich be findet sich in zentraler Lage und der einmali ge Blick auf die beiden Eisflächen macht ihn zu einem einzigartigen Lieblingsort, welcher zum Verweilen einlädt. Nebenan befindet sich der Sport-Shop Pro Hockey.

Die Intercable Arena mit seinem vielseiti gen Angebot gibt dem gesamten Eissport im Pustertal einen immensen Aufschwung und ist gleichzeitig als idealer Veranstaltungs ort Anziehungspunkt für viele Besucherin nen und Besucher aus dem In- und Ausland und ist ohne Zweifel ein Vorzeigeprojekt im Alpenraum.

m² Fläche

Zuschauerplätze

1.650 Sitzplätze, 1.450 Stehplätze

Gästebereich mit Ticketing, Tribüne und Versorgungkiosk

Multifunktionsarena

Zwei Spielfelder (Eisflächen)

Curling-Halle mit zwei Bahnen

15 Umkleidekabinen

großer Medien- & Pressebereich

250 m² Premium Bereich mit 6 Premium Logen (Wolves Business Club)

moderne Gastronomie und Kioske

Fachartikel- & Fanshop

7. September 2019

Erstes Heimspiel des HC Pustertal: 1. Oktober 2021

Architektur: CeZ Architekten aus Bozen

PZ 20 | 13. OKTOBER 2022
FAKTENCHECK: ▶ 13.000
▶ 3.100
▶ Grundsteinlegung:
© Jürgen
Eheim_Progress AG © Jürgen Eheim_Progress AG
Premium Bereich Peter Natter
5

Der HC Pustertal ist ein Hockeyclub zum Anfassen und Kult seit 1954. Vor allem die Heimspiele im altehrwürdigen Rienzsta dion waren legendär. Seit letztem Jahr ist der HCP Teil der internationalen ICE Ho ckey League und hat bereits in seiner ers ten Saison als kleinster Standort die Liga aufgemischt.

Ihre Heimspiele tragen die Wölfe in der brandneuen, 3.100 Zuschauer fassenden Intercable Arena an der Westeinfahrt von Bruneck aus - eine hochmoderne Multifunk tionsarena, in welcher Show und Spekta kel nicht zu kurz kommen und Spitzensport hautnah erlebbar wird. Eislaufen in der Arena? Kein Problem! An ausgewählten Tagen kann beim Publikums lauf den Profis nachgeeifert werden. Am

Abend schmeißt der HCP dann die spek takuläre Beamer-Anlage an und verwan delt die Intercable Arena in ein buntes Far benmeer: bei der beliebten DISCO ON ICE dröhnt stimmungsvolle Musik aus den Bo xen unter dem Hallenboden und sorgt für gute Laune bei Jung und Alt. Schlittschuhe können im hauseigenen HCP-Schlittschuh verleih ausgeliehen werden.

HC PUSTERTAL JUNIOR –JUNGWÖLFE GESUCHT

Der HC Pustertal Junior ist die Kinder– und Jugendabteilung des HCP. Durch eine gute Jugendarbeit möchte der HC Pustertal Ju

MITTAGSMENÜ

nior Kindern und Jugendlichen eine Sportart beibringen, die sie stark macht für das Leben. Jeder Spieler sollte gemäß seinen Fä higkeiten in jener Altersklasse spielen können, die zu ihm passt. Nach oben sollte der Weg dann für jeden offen sein. Wer bei den Jungwölfen mitmachen will, kann sich gerne melden. Weitere In formationen dazu gibt es auf der Homepage.

PZ 20 | 13. OKTOBER 2022 INTERCABLE ARENABRUNECK 6
Unsere Vereine HC PUSTERTAL – EIN HOCKEYCLUB ZUM ANFASSEN SPORT TV Serie A, Champions League, Formel 1, Moto GP, Tennis, Bundesliga, Premier League LIVE auf 6 Bildschirmen
Mo. bis Fr. zur Auswahl 3 verschiedene Tagesteller inkl. Salat vom Buffet
Fabian
Leitner (HC Pustertal)
Markus
Ranalter
beide Fotos: Iwan Foppa (HCP Junior)

SÜDTIROL BRUNECK

Vor einem Jahr wurde der Amateursportclub Curling Südtirol Bru neck aus der Taufe gehoben. Es handelt sich dabei um den Zusam menschluss der Südtiroler Curling-Spieler, mit dem Ziel die olym pische Sportart Curling in Südtirol zu verbreiten, die Jugendarbeit zu fördern und die neue Anlage, das Curling Center Südtirol in der Arena Bruneck, optimal zu führen. Der Curling-Sport hat mit dem Curling Club Niederdorf 2010 in Südtirol erste Wurzeln geschla gen. Das vom Verein organisierte Open-Air-Turnier, der Südtirol Curling Cup am Pragser Wildsee, hat in den Jahren seiner Austra gung europaweit Kultstatus erlangt. Die Öffnungszeiten werden noch rechtzeitig über die Medien und verschiedene Kanäle bekannt gegeben.

PUSTER ICE CLUB

Der Puster Ice Club, AmateurEiskunstlaufverein, ist ein kom plett ehrenamtlich geführter Ver ein, der 2006 mit dem Ziel gegründet wurde, den Kindern im Pustertal das Eiskunstlau fen näher zu bringen. Heute ist der Verein mit ca. 100 Mitgliedern, davon ungefähr

60 Athleten in der Kategorie Anfänger und 30 Athleten in wettbewerbsfähigen Teams in unterschiedlichen regionalen und auch nationalen Kategorien vertre ten. Der Verein wird somit dem Wunsch nach Breitensport auf dem Eis als auch

EISSTOCKVEREIN BEZIRK OST

Die Traditions- und Gesellschaftssportart ist mit dem Eisstockverein Bezirk OST in die Intercable Arena eingezogen. Im Winter auf Eis und im Sommer auf Asphalt - bei den wöchentlichen Trainings und spannenden Wettkämpfen und Turnieren zeigen die Eisstocksport lerinnen und Eisstocksportler aus dem Bezirk Pustertal ihr Können. Der Eisstockverein Bezirk OST zählt insgesamt 15 Vereine. Mit dem AEV Stegen, dem ASV Dietenheim – Aufhofen und dem ASC St. Georgen / Stocksport sind drei Vereine in der Stadtgemeinde Bruneck ansässig. Die Vereine wurden 1986 (AEV Stegen), 1991 (ASV Dietenheim – Aufhofen) und 1959 (ASC St. Georgen / Stock sport) gegründet und nehmen jährlich an verschiedenen nationa len und internationalen Wettbewerben teil, bei denen Erfolge ge feiert werden konnten .

der Entwicklung zum Spitzensport hin auf Wettkampfniveau gerecht.

„Der Eiskunstlauf, ein empfindliches Gleichgewicht zwischen Schönheit und Perfection“

Unsere Vereine

ASC CURLING
Puster Ice Club Curling Südtirol Stegen St. Georgen Dietenheim-Aufhofen
7
Teamplay ist alles. Das ist im Hockey nicht anders, als auf einer Baustelle. Und auf solchen mit der Dimension wie die einer Arena Bruneck nochmals umso mehr. Da geht’s Schlag auf Schlag, nichts für schwache Nerven. Aber die haben im Hockey ja ohnehin nichts verloren. STARKES TEAM, STARKE LEISTUNG. Wir bedanken uns für das Vertrauen in hochwertig produzierte Betonelemente! www.langbau.at BAUEN MIT INNOVATIVEN BETONFERTIGTEILEN www.progress.ccPROGRESS AG · Brixen · Tel. +39 0472 823 111 KARRIERE BEI www.decor.bz.it Decor GmbH Handwerkerzone 7 I-39030 Pederoa/Wengen c/o Home Center G.-Galilei-Straße 4/A, I-39100 Bozen Tel +39 0471 843172 Email info@decor.bz.it

Die Erschließung vom Kronplatz

Im Jahr 1963 wurde die erste Seilbahn auf den Brune cker Kronplatz gebaut, weitere Aufstiegshilfen folg ten. 1986 eröffnete man zwei neue Umlaufseilbahnen anstelle der ursprünglichen Schwebeseilbahn; bequeme Sechser-Kabinen versiebenfachten die Kapazität. Im Jahr 2003 erhöhten eine neue Achter-Kabinen die Leistungsfä higkeit noch weiter. Installierte technische Beschneiung gewährt Schneesicherheit (Reischach, Olang und in St. Vigil). Um das kulturelle Angebot zu vergrößern, wurde Ende 2018 das „LUMEN - Museum of Mountain Photo graphy“ eröffnet. Und zwar in der ehemaligen SeilbahnBergstation von 1963. // mk

DER AUFRUF

Das TAP sucht historische Photographien aus Bru neck und Umgebung sowie das Pustertal und sei ne Seitentäler betreffend – von Alltag und Freizeit bis Politik, Wirtschaft, Religion, Vereinsleben etc. Aus den (kurzfristig) überlassenen Fotos wird aus gewählt, jene als Kulturschatz eingestuften Licht bilder werden kostenfrei gescannt und dann die Originale mit den Scans an die Besitzerin/den Be sitzer zurückgegeben. Das TAP wünscht einzig auch die Nutzung der erstellten Digitalisate.

Archivleiter Dr. Martin Kofler steht gerne zur Ver fügung (T.: 0043-664-3568535)! Nächster Abgabetermin: Dienstag, 18.10.2022, 10.00-12.30 Uhr, Rathaus Bruneck, Sitzungs raum 1. Stock links

WEITERE INFOS: www.tiroler-photoarchiv.eu www.lichtbild-argentovivo.eu www.instagram.com/tiroler_photoarchiv/

Aktion des TAP

Unterstützung

49 GESCHICHTE & HISTORIE PZ 20 | 13. OKTOBER 2022
MOBILITÄT IN UND UM BRUNECK – HISTORISCHE LICHTBILDER (TEIL 4)
Grußkarte vom Kronplatz, um 1975 (Foto Rapid-Kofler; Sammlung Richard Piock – TAP) „Ansturm“ bei der Talstation, 1988 (Fotograf: Unbekannt; Sammlung Kronplatz Seilbahn AG – TAP)
LUMEN. Museum
of Mountain Photography,
2018
(Fotograf: Paolo Riolzi
– LUMEN)
Eine
mit
der Pustertaler Zeitung

Der Ruf des Kupfers

Gar viel Prominenz konnte der scheidende Hausherr und Museums-Direktor Christian Terzer vor kurzem in Prettau begrüßen. Viele Besucher fanden sich zur offiziellen Eröffnung des neuen Besucherzentrums in Prettau ein – gemeinsam mit der Knappenkapelle Prettau, den Knappenvereinen von Villanders und Passeier, ehemalige Knappen und das Team des Bergwerkmuseums selbst.

Christian Terzer konnte zahlreiche Politiker und Ehrengäste begrü ßen, darunter Gouverneur und Mu seumsreferent Arno Kompatscher, Dieter Steger, Massimo Bessone, Gert Lanz, den Bürgermeister von Prettau, Robert Alexan der Steger, Bürgermeister Helmut Klammer, viele Gemeindeausschussmitglieder der bei den Gemeinden, Pfarrer Josef Profanter. Da zu die Direktorin des Südtiroler Archäologie museum, Angelika Fleckinger den Direktor vom Amt für Geologie, Volkmar Mair, Nach fahren des Industriellen Ettore Manica und viele mehr.

PRETTAU ALS WICHTIGES ZENTRUM

Prettau ist mit seinen drei Säulen - dem Schaubergwerk, dem Klimastollen und nun mit dem neuen Besucherzentrum - ein Zen trum der Südtiroler Landesmuseen. Kupfer und Wasser hatten schon in der Bronzezeit einen beachtliche Bedeutung für Prettau. Derviel zitierte „Prettauer Stolz“ lässt sich laut Bürgermeister Steger übrigens darauf zurückführen. Interessant ist auch, dass noch heute rund 1,5 Tonnen Kuper abgebaut und für künst lerische Zwecke verwendet werden. Davon zeugt auch der mit Cent-Stücken verzierte Luster im Besucherzentrum.

50 KULTUR & KUNST PZ 20 | 13. OKTOBER 2022
DAS NEUE BESUCHERZENTRUM IN PRETTAU
BETON IM BLUT UND AUS DEM RICHTIGEN HOLZ GESCHNITZT. BAUEN IST UNSER LEBEN Sand in Taufers // T 0474 677 811 Bozen // T 0471 155 1020 www.unionbau.it
Das neue Besucherzentrum erstrahlt nun im neuen Glanze. Vor kurzem wurde es feierlich eröffnet. BM Robert A. Steger und Pfarrer Josef Profanter. Dir. Christian Terzer und LH. Arno Kompatscher.

Mit der Uraufführung des Prettauer Liedes von Leiter Paul und dem Frauenchor von Prettau sowie dem obligatorischen Barbar alied wurde die Eröffnung des neuen Besu

cherzentrums dann auch musikalisch per fekt umrahmt. Nach der obligatorischen Banddurchschneidung konnte das Zentrum dann besichtig werden. Dabei wurde viel

Neues und Altbewährtes präsentiert. Erin nerungen an die Vergangenheit, an bekann te Gesichter und an die Kindheit kamen her vor. „Glück Auf“ für die Zukunft! // jota

51 KULTUR & KUNST PZ 20 | 13. OKTOBER 2022 Metalps GmbH www.metalps.com Metall
in Perfektion
#metalprojects zwischen
Tradition
und Innovation
Das Team des Bergwerksmuseums von Prettau mit dem neuen Besucherzentrum. Pfarrer Profanter und Vertreter Knappenverein von Villanders. Interessante Ausstellungsstücke. Die Knappenkapelle von Prettau. Paul Leiter mit dem Frauenchor von Prettau.

Eine besondere Tradition

Die Ahrntaler Bevölke rung liebt und lebt Tra ditionen. So auch die Bergmesse beim Fadnstöckl ober St.Johann. Im Jahre 1994 hatten drei St. Johanner das christli che Symbol als Dank und Bitte für eine gute Ernte erbaut. Das Bildstöckl ist malerisch gelegen auf einem Hügel auf 2136 Metern, leicht zu erreichen, und neuer dings geschmückt mit einem schönen Kreuz. Dieses wurde von Egon Oberkofler, dem be kannten Künstler und Musiker vom Widenhof in St. Martin ge schnitzt und mit Hilfe von Freun den auf dem beschaulichen Platz aufgestellt.

KLARE BOTSCHAFT VOM PFARRER

Seit der Errichtung des christli chen Symbols hat Pfarrer Mar kus Küer dort jährlich eine Mes se gelesen, die immer viel Zuspruch erhielt.. Der im Ahrntal urlaubende Missionar Ernst Halbe ist seit 20 Jahren regelmäßig dabei, er richtet seinen jährlichen Urlaub konsequent auf diesen Termin aus. Für die musikalische Umrahmung sorgten wie jedes Jahr die Blä ser und die junge Bläserin der Musikkapel le St. Johann mit schönen Klängen. In seiner emotionalen und aufrüttelnden Predigt legte Ernst Halbe den Finger in die Wunden der Anwesenden. „Wie kann man

vom Herrgott Gnade erbitten und gleichzei tig mit den Ressourcen der Erde so verant wortungslos umgehen!“ donnerte er von der Kanzel – in diesem Fall ein Altar aus Baum stämmen - herab. Eindringlich legte er den Gläubigen nahe, die Natur zu schützen und mit Respekt zu behandeln.

Die politischen Verantwortlichen nahm er schonungslos ins Gebet und hielt der Ge sellschaft ebenfalls den Spiegel der Maßlo sigkeit der letzten Zeit vor. Kriege, Pande

mien und gravierende soziale Problem seien die Folge. Sogar das Thema der Überbevöl kerung schnitt Pfarrer Halbe an, mit dem Zusatz „darf man das überhaupt sagen…?“

Hätten ihn einige Politiker und Politikerin nen gehört, wären ihre Köpfe garantiert rot geworden.

EIN SCHÖNES FEST

Den Nerv der Leute beim Fadnstöckl hat er auf jeden Fall getroffen, dies konnte man

52 KULTUR & KUNST PZ 20 | 13. OKTOBER 2022
BERGMESSE BEIM FADNSTÖCKL
Andächtig lauschen die Besucher der Predigt des Pfarrers. Leo Oberkofler Pfarrer Ernst Halbe Die Bläser der Musikkapelle von St. Johann umrahmten den Gottesdienst. MK St. Johann

RUDI DUREGGER

In der Stiftskirche von Innichen wird am 29.10.2022 um 19.30 Uhr der Chorverband Pustertal das Requiem von Karl Jenkins auffüh ren. Die Konzertreihe findet unter der Leitung von Markus Fe derer im Gedenken an Rudi Duregger statt. Mit dabei sind der Gemeinschaftschor des Chorbezirkes Puster tal, Schülerinnen und Schüler des Sowi-Gym Bruneck und eine Orchester-Auswahl aus dem gesamten Pustertal. Als Sopran-So listin wurde Stefanie Steger engagiert. Alle sind herzlich einge laden, wobei sich die Ausführenden über eine freiwillige Spen de zur Deckung der vielen Spesen natürlich sehr freuen würden. Gutes Gelingen!

nach der Messe aus den Diskussionen heraushören. „Er hat recht, wir müssen mehr…. und weniger….!“ Viele Vorsätze wurden ausge sprochen, ob sie dann im Alltag unten im Tal in die Tat umgesetzt werden bleibt dahingestellt. Nicht nur das seelische auch das leibliche Wohl wollte befriedigt werden, so geschehen im Anschluss auf der Gruberhütte, wo die Wirtin Anni Gerstensuppe und Krapfen, Gulasch und Knödel und andere, natürlich auch flüssige Köstlichkeiten servierte. Die Bläser der Musikkapelle ließen noch einige schöne Weisen erklingen, die Predigt des Pfarrers wurde eifrig diskutiert, bis wieder Zeit zum Ab stieg war. Eine letzte Stärkung gab es traditionell beim Pichl Mel cha, einem Erbauer des Bildstöckls, der die Musikanten mit seinem Speckbrettl belohnte. Irgendwann – einer früher, die andere spä ter – fanden alle wieder ins Tal zurück, der Sonntag wurde fried lich beendet und neue Kraft für die kommende Arbeitswoche wur

TAGUNG DIE NEUEN KUNST

TAGUNG: DIE NEUEN KUNST UND KREATIVITÄTSTHERAPIEN

machen Sorgsam können

nicht

Worte gefasst

53 KULTUR
& KUNST
PZ 20 | 13. OKTOBER 2022
Das
neue Kreuz
geschnitzt von Egon Oberkofler. Josef Kirchler und Konrad Steger spielten einige Weisen. MK St. Johann Melchior Lechner mit dem obligatorischen Speckbrettl für die Musikanten, eine liebgewor dene Tradition. MK St. Johann
Monika Rieder, Bruneck Ulrike Hofmann, Bozen Brita Köhler, Bozen
sichtbar zu
Themen bearbeitet werden, die nicht oder noch
in
werden können www cusanus bz it CUSANUS AKADEMIE Referent/innen: Monika Rieder, Bruneck Ulrike Hofmann, Bozen Brita Köhler, Bozen
Diese Tagung vermittelt einen Einblick in theoretische Konzepte, Anwendungsfelder und praktische Methoden der Kreativtherapien und der integrativen Gesundheitsförderung mit kreativen Medien Mit Prof. mult . Hilarion Petzold als Hauptreferent In der Kunsttherapie steht der schöpferische Prozess des Menschen im Vordergrund Die kreativen Medien bieten Möglichkeiten, innere Befindlichkeiten auszudrücken und sichtbar zu machen Sorgsam können Themen bearbeitet werden, die nicht oder noch nicht in Worte gefasst werden können www cusanus bz it DI, 25 10 2022 9 17 h STIFTSKIRCHE INNNICHEN IN MEMORIAM
// rewe

Schreib mich in den Sand

Nach einer langen coronabedingten Pau se meldet sich nun auch die Volksbüh ne Mühlwald wieder zurück. In ihrem aktuellen Stück widmet sie sich einem schwierigen Thema, nämlich dem des Kindesmissbrauchs. Unter der Regie von Hans Strobl erzählt das Stück aus der Feder von Inez van Dullemen vom Zerfall einer Familie, die längst tot ist.

Selbst im Angesicht des Todes wird die Wahrheit noch ausgeblendet: „Die Strie men am Hals, die hat das Blüschen mit dem hohen Stehkragen doch hübsch ka schiert“, seufzt die Mutter erleichtert, nach dem sich ihre Tochter in der Garage aufge hängt hat. Über das Leben hinaus bemüht sich die Mutter, den Schein der gutbürger lichen Familie aufrechtzuerhalten – einen Schein, den die Autorin Inez van Dullemen in ihrem Theaterstück „Schreib mich in den Sand“ nachhaltig zerstört.

DAS STÜCK

Judith, eine junge Frau, besucht nach dem Selbstmord ihrer älteren Schwester Anne, die schon seit längerem in psychiatrischer Behandlung war, ihre Eltern und kehrt da mit für kurze Zeit in das Haus ihrer Kindheit zurück. Sie findet Annes Notizen und ent nimmt den Aufzeichnungen das Motiv für die Krankheit und den Freitod der Schwes ter. Anne wurde über Jahre vom Vater se xuell missbraucht.

Inzest, sprich eine sexuelle Beziehung zwi schen engsten Blutverwandten sowie Kin desmissbrauch sind vielfach immer noch Tabu-Themen in unserer Gesellschaft. Im Bewusstsein der großen Verantwortung und des Respekts vor der schwierigen Thematik habe er, so Regisseur Hans Strobl, gemein sam mit der Volksbühne Mühlwald mit vie len Hintergrundinformationen und Gesprä chen die Herausforderung angenommen mit dem Ziel, diese sensible Geschichte über ein faches, ehrliches und leises Spiel in Szene

zu setzen. Denn Theater, so die Aussage der Volksbühne Mühlwald, dem außer Unterhal tung auch noch ein kritischer, entlarvender Blick wichtig ist, sollte angesichts der vielen Missbrauchsopfer nicht an solchen Themen vorbeigehen.

DIE

Termine:

21.10., 28.10. und 29.10. um 20.00

Uhr, sonntags 23.10. und 30.10. um 18.00 Uhr

Veranstaltungsort: Vereinshaus von Mühlwald

Kartenreservierung: unter Tel: 371 6954499 ab 10.10.2022

ACHTUNG:

KONZERT IN TOBLACH

AMISTAT

GIBT SICH DIE EHRE

Der Name „Amis tat“ bedeutet Freundschaft auf Katalanisch. Freun de, Brüder - Josef und Jan sind bei des. Sie sind sehr unterschiedlich, ergänzen sich aber stimmlich und in ihren Botschaften. Josef und Jan ließen sich besonders durch Künstler wie Ben Howard, Kings of Convenience oder Kodaline beeinflussen.

Amistat kommt nach Toblach. Pat O´Hara

Die Musik von Amistat erinnert aber an eine moderne Version des Kult-Folk-Duos Simon and Garfunkel. Mit ihrem Debütalbum „Par ley“, veröffentlicht 2016, tourten sie durch Australien und Europa und erregten dabei derart die Aufmerksamkeit der Sängerin Tash Sultana oder der Band Sheppard, dass sie sofort deren Shows er öffnen durften. An der Seite der australischen Band Sons of the East gaben Amistat 2019 innerhalb von acht Wochen 49 Konzer te in 15 Ländern.

Am 23. Oktober 2022 kommen sie im Rahmen ihrer Herbst-Tour erst mals in Südtirol vorbei. Beim Konzert im Euregio Kulturzentrum To blach spielen Amistat mit Multi-Instrumentalist Phil Deekay. Den Abend wird JPson aus Südafrika mit „Fresh Folk“ eröffnen.

mama

54 KULTUR & KUNST PZ 20 | 13. OKTOBER 2022
// jst AMISTAT 23.10.22 TICKET: € 20 T +39 0474 976 151 20:00 SUPPORT: JPSONamistatmusic
//
VOLKSBÜHNE MÜHLWALD
FÜR KINDER NICHT GEEIGNET! //
AUFFÜHRUNGEN

Kompost und Düngung im Garten

Wärme und Sonnenlicht, sowie die im Boden vorhandenen Nährstoffe wirken sich direkt auf das Gedeihen der Gartenpflanzen aus. Mit der Kompostbereitung können wir organische Rest stoffe zu einem wertvollen Dünger für unsere Gartenpflanzen verarbeiten.

Die Pflanzen decken ihren Nährstoffbedarf mit den im Boden vorhandenen Nährsalzen. Der fortlaufende Anbau von Obst und Gemü se verringert diesen Bodenvorrat. Durch an gepasste Düngergaben können wir die Leis tungsfähigkeit des Gartenbodens halten oder auch steigern.

UNKRAUT UND ÜBERDÜNGUNG

Bleiben Pflanzen klein oder neigen sie zu früh zeitiger Ausbildung von kleinen Früchten, kann eine Ursache ein Mangel bzw. ein Un gleichgewicht von Nährstoffen sein. Kräftiger Wuchs und dunkles Grün der Pflanzen, nicht zuletzt aber ein munterer Unkrautwuchs sind untrügliche Zeichen für optimale Nährstoff versorgung. Neigen verschiedenste Gemüsepflanzen zu Fäulnis und ist die Standfestigkeit vermindert, kann auch eine Überver sorgung vorliegen, die sich negativ auf Qualität und Haltbarkeit der Ernteprodukte auswirkt. Gedüngt wird also nur bei erwiese ner Notwendigkeit, der Grundsatz „Viel hilft viel“ ist hier völlig fehl am Platz. Vor allem im beginnenden Frühjahr, wenn das Gar tenleben noch nicht so recht in Schwung kommen will, liegt oft kein Nährstoffmangel vor, sondern die Nährstoffe werden noch nicht mobilisiert, weil der Boden noch zu kühl ist. Erst eine Er wärmung schafft jenen Temperaturbereich, in dem die Boden lebewesen imstande sind, die Nährstoffe aus der organischen Bo densubstanz für die Pflanze verfügbar zu machen. Abdecken mit Folien und Vliesen beschleunigt diese Erwärmung.

OBERFLÄCHLICHKEIT IST GUT

Kompost ist ein organischer Dünger, der seine Wirkung erst nach seinem Abbau durch die Bodenlebewesen entfalten kann. Des halb wird er oberflächlich in die obere, sauerstoffreiche Boden schicht eingearbeitet, und nicht tief vergraben. Die Ausbringung hat deshalb vor der Pflanzung zu erfolgen, weil die volle Wirksam keit erst nach ca. zwei Monaten einsetzt. Kleine Mengen (zwei bis vier Liter pro Quadratmeter) sind völlig ausreichend im Gemüse beet. Meist sind Gartenböden überdüngt, ein Aussetzen der Dün gung für ein Jahr wird selten in einer Ertragseinbuße bemerkbar sein. Obstgehölze werden je nach ihrem Standraum (1-2 Liter je Quadratmeter) gedüngt, und zwar nur ein Mal im Jahr, bevorzugt im Herbst oder Frühjahr. Überdüngung verursacht bei mehrjäh rigen Pflanzen eine Verminderung der Winterhärte und führt zum Erfrieren der nicht ausgereiften Jungtriebe.

RICHTIG KOMPOSTIEREN

Wird als Mulchbedeckung Grasschnitt verwendet, hat man auch hier eine nicht zu unterschätzende Düngerwirkung. Für die Kompostbereitung wählt man einen schattigen Platz mit Naturboden. Der Aufbau erfolgt locker mit Struk turmaterial, Gartenerde und angetrockneten, zerkleiner ten Pflanzenresten. Ein stabiles Kompostvlies dient als Verdunstungs- und Sichtschutz. Bei kleineren Kompost haufen genügt ein einmaliges Durchmischen im Spätsom mer. Bei längeren Trockenperioden wird die Verrottung mit einer Wassergabe in Schwung gehalten. Nicht vollständig verrottetes Material benutzt man als Star ter für den nächsten Kompost.

Fachlehrer für land- und naturwissenschaftliche Fächer

55 BILDUNG & SCHULE PZ 20 | 13. OKTOBER 2022 FACHSCHULE FÜR LANDWIRTSCHAFT, HAUSWIRTSCHAFT UND ERNÄHRUNG IN DIETENHEIM
DER HERBST IST DA
// Josef Johann Auer Gut verrotteter Kompost erinnert im Geruch an Walderde. Während des Jahres werden die Abfälle für die Kompostmiete gesammelt.

Schüler sind lebendige Bausteine für die Kirche

Am Gedenktag des hl. Franziskus von Assisi, dem 4. Oktober 2022, wurde nach drei-jähriger Bauzeit das Tagesheim und Mädcheninternat offiziell seiner Funktion übergeben und eingeweiht. Nach einer umfangreichen Bauphase erstrahlt es nun im neuen Glanz.

Dieses Haus wurde gebaut, damit Schülerinnen einen Wohnraum in Schulnähe haben; Menschen, die sie begleiten in allen Aspekten, die Jugend liche zwischen 10 und 14 Jahren so mitbrin gen. „Das ist auch der Grund, warum sie jetzt mehr zu sehen und zu hören sein werden“, so Schwester Reinhilde. Groß war die Freude von den ehrwürdigen Schwestern M. Regina Rainer und Elisabeth Tschurtschenthaler die Geschichte des Herz Jesu Institutes zu erzählen und mit gar man cher Anekdote zu versüßen. Unter den Lau datoren befanden sich Landesrat Philipp Achammer, der Bürgermeister von Mühl bach Dr. Heinrich Seppi, Architektin Moira Morsut, Präsident der Stiftung-St-Elisabeth Christian Klotzner, Provinzoberin Sr. Mirjam Volgger und Bischof Ivo Muser. „Geh und baue meine Kirche wieder auf …“, diesen Auftrag erhielt Franziskus von Assisi. Zunächst wörtlich und dann im übertrage nen Sinn, so Bischof Muser. Wir haben hier einen Ort des Lebens und der Bildung ge

schaffen, nun liegt es an uns und den Schü lerinnen und Schülern in und mit der Kir che zu wachsen und lebendige Bausteine zu sein. Mit diesen Worten segnete Bischof Mu ser im Anschluss den neuen Wohnkomplex. Als Zeichen der wachsenden Gemeinschaft wurde im Schulhof ein Ahorn gepflanzt, als

56 ERÖFFNUNG PZ 20 | 13. OKTOBER 2022 mader.bz.it Ihr Vertrauen in das Unternehmen Mader und die reibungslose Zusammenarbeit bildeten das Fundament Ihres Projektes. BETON IM BLUT UND AUS DEM RICHTIGEN HOLZ GESCHNITZT. BAUEN IST UNSER LEBEN Sand in Taufers // T 0474 677 811 Bozen // T 0471 155 1020 www.unionbau.it
TAGESHEIM UND MÄDCHENINTERNAT HERZ JESU INSTITUT MÜHLBACH
Schwester Reinhilde LR Philipp Achammer BM Dr. Heinrich Seppi Arch. Moira Morsut

Zeichen für den Schutz der Erde mit allem, was auf ihr lebt. Mit Stolz zeigten später die Heimbewohnerinnen ihre Zimmer und die Räumlichkeiten den geladenen Gästen, Fa milien und Freunden und mit einer kleinen Marende wurde der Festakt in gemütlicher Runde beendet.

Wir wünschen allen Bewohnerinnen, Tagesheimschülerinnen, Tagesheimschü lern, Lehrpersonen und Erziehern, aber nicht zuletzt den ehrwürdigen Schwestern, dass das Heim noch tausend Jahre ein Zen trum der Weiterbildung und des christli chen Zusammenlebens zwischen Jung und Alt sein möge.

57 ERÖFFNUNG PZ 20 | 13. OKTOBER 2022 Welsberg | 0474 944253 | www.aom.bz
//
Gisse 109 I-39030 St. Johann i Ahrntal +39 348 141 9537 info@gasteigergmbh.it Wir bedanken uns für die gute Zusammenarbeit und wünschen weiterhin viel Erfolg. Gisse 109 I-39030 St. Johann i Ahrntal +39 348 141 9537 info@gasteigergmbh.it www.resch.it TISCHLEREI GARGAZON SHOWROOM KARDAUN Vollwärmeschutz Innen- und Außenputze Isolierputz Unterböden mit Fließestrich Unterböden traditionell Industrieböden Rampen in Fischgrat Karl +39 393 90 39 705 Markus +39 392 34 26 362 info@winkler-verputz.it Winkler Karl Tel. +39 393 9039705 Winkler Markus Tel. +39 392 3426362 Büro - Tel. : +39 345 7938853 E-Mail: info@winkler-verputz.it www.winkler-verputz.it

Grenzüberschreitende Zusammenarbeit

Bereits im April 2022 trafen sich Jugendliche aus Finnland und dem Pustertal, um gemeinsam über Beteiligungsmöglichkeiten in der eigenen Gemeinde zu diskutieren. Das entsprechende LEADER-Projekt nennt sich „Opportunities for youg people and municipalities“ und kommt gut an.

Vor kurzem reisten 16 Jugendliche au den Regionen Ravaka und Varsin Hyvä aus Finnland in das Pustertal und freuten sich über ein tolles Programm. Dabei standen neben einem Austausch auch ein Workshop, viel Spaß und Outdooraktivi täten auf dem Programm. Dabei konnte auf die wertvolle Unterstützung des Jugendrin ges zurückgegriffen werden.

Das Leader-Projekt selbst soll laut Jugend dienst-Direktor Lukas Neumair zum einen den zwischeneuropäischen Austausch för dern, sondern auch junge Menschen für die Beteiligung selbst zu begeistern und direkte Wege dazu aufzuzeigen. Ein zusätzlicher Output des Projektes ist ein Handbuch, das gestaltet werden soll und den Gemeinden auch zur Verfügung gestellt werden soll. Darin geht es um Formen der Jugendpartizipation und auch darum, wie sich junge Menschen am besten einbinden

lassen und welche Voraussetzungen dafür geschaffen werden müssen.

Die Resonanz ist jedenfalls positiv. „Das Projekt war sehr erfolgreich. Nun sollen auch die Gemeinden und deren Jugendre ferentinnen und -referenten weiter einge bunden werden, damit sie erfahren, was sich die Jugendlichen wünschen, um auch ihre Perspektiven einbringen zu können“, so Caroline Leitner, die LEADER-Koordina toren des Regional-Management Pustertal (LAG Pustertal). // ln

58 BILDUNG & SCHULE PZ 20 | 13. OKTOBER 2022
JUGENDDIENST BRUNECK UND REGIONALMANAGEMENT PUSTERTAL
Die Teilnehmerinnen und Teilnehmer am Projekt bei einem Ausflug zu den Reiner Wasserfällen. RMP
Beim gemeinsamen
Kochen von traditionellen
Pressknödeln. RMP
Das Treffen mit den Schülerinnen und Schülern aus Finnland war für alle eine Bereicherung.
RMP Wir suchen Mitarbeiter für Produktion u. Montage

Das geistige Vermächtnis

Heuer wird der „Tag der Bibliotheken“ am Samstag, dem 22. Oktober 2022 gefeiert. Wie bereits in den Vorjahren wird dieser Tag auf den ganzen Monat Oktober ausgedehnt –im gesamten Pustertal.

Zum 14. Mal wird der „Tag der Bibliotheken“ nun schon gefei ert. Da viele Bibliotheken immer schon vor oder nach dem eigentlichen Tag der Bibliotheken Veranstaltungen angebo ten haben, wird der Aktionszeitraum wieder auf den gesamten Mo nat Oktober ausgedehnt.

ReSpeckt!

Zahlreiche Bibliotheken im gesamten Pustertal öffnen im „Biblio theksmonat“ Oktober ihre Pforten und machen Groß und Klein mit allerlei Veranstaltungen und Aktionen auf ihre verschiedenen Tä tigkeitsbereiche aufmerksam. Bibliotheken sind im Begriff, sich in den Gemeinden als Orte für Kultur, Bildung und Soziales und als Erfahrungsräume der gesellschaftlichen, ökologischen und ökolo gischen Nachhaltigkeit zu etablieren.

Die Veranstaltungen finden in diesem Jahr erstmals wieder in Prä senz statt – das Angebot ist vielfältig und reicht von A wie Auto renbegegnung bis W wie Workshops. Zur Auswahl stehen etwa Bibliotheksführungen, allerhand Entdeckungsreisen, zahlreiche Buchvorstellungen und Lesungen, Bücherflohmärkte, Vorträge, Workshops, Spielenachmittage oder Theateraufführungen. Eine besondere Veranstaltung findet in Reischach statt, wo sich am 26.10.2022 alles um die Biodiversität dreht.

Nähere Informationen zu allen Events sind auf der Homepage https://2022.tagderbibliotheken.bz.it/ abrufbar.

Die Veranstaltungen können nach Bezirk oder Veranstaltungstyp ausgewählt werden.

Speck ist nicht gleich Speck. Schon gar nicht bei uns in Südtirol. Die Siebenförcher Metzger-Meister verarbeiten nur die besten Zutaten mit handwerklichem Können zu ganz hervorragenden Produkten. Und genau darum schmeckt unser mehrfach ausgezeichneter Speck einfach ausgezeichnet.

Ehrlich. Das schmeckt man.

59 BILDUNG & SCHULE PZ 20 | 13. OKTOBER 2022 www.siebenfoercher.it
TAG DER BIBLIOTHEKEN
// rewe
Die Stadtbibliothek „Librika“ in Bruneck.

Wege für unsere Gemeinden

Gemeinden im Hinblick auf ihre Familienfreundlichkeit genau unter die Lupe neh men: Als externer Gemeindebeglei ter im Rahmen von „FamilyPlus“ begleitet Bildungsweg Pustertal - BI WEP Gemeinden auf ihrem Weg zu einer gut durchdachten Familien politik. Die Grundhaltung, die dahin ter steckt, ist ganz einfach: Bei jeder Entscheidung, die eine Gemeinde trifft, wird Familie mitgedacht. Die Familie als zentrale Säule einer Ge meinschaft steht also im Mittelpunkt aller politischen Entscheidungen. Dabei meint der Begriff „Familie“ alle Generationen – von den Kleinsten bis hin zu den alten Men schen – und immer auch die zukünftigen mit. Familien zu stärken bedeutet, sämtliche Bereiche familienfreundlich zu gestalten: Wohnort, Arbeitsplatz, Mobilität, Kindergarten, Schu le und weitere kommunale Infrastrukturen. Familienfreundlich keit ist gegeben, wenn die verschiedenen Bereiche gut aufeinander

abgestimmt sind, sodass die Familien sie besser miteinander vereinbaren können. BIWEP begleitet bereits seit 2004 Gemeinden hin zu mehr Fami lienfreundlichkeit. In der Folge davon wurde 2007 das „Bündnis für Familie“ gegründet. Seine Schwerpunktthemen sind die Vereinbarkeit von Familie und Beruf sowie eine gut ausgebaute, qua litative Kinderbetreuung. 2014 haben sich Anbieter von Kinderbetreuung so wie Gemeinden und andere öffentli che Institutionen im Pustertal zu einem zweiten Netzwerk zusammengeschlos sen – dem „Netzwerk Kinderzeit“, ebenfalls von BIWEP koordiniert. Nun sind erstmals zwei seiner Mitglieder – die beiden Gadertaler Gemeinden Enneberg und St. Martin in Thurn – mit dem Gütesiegel „FamilyPlus – Familie leben“ ausgezeichnet worden. Die Gemein debegleiterinnen von BIWEP wie auch die Familienagentur der Pro vinz Bozen freuen sich über interessierte Gemeinden und BürgerIn nen und informieren gerne näher über das Audit „FamilyPlus“. //

60 BILDUNG & SCHULE PZ 20 | 13. OKTOBER 2022 BILDUNGSWEG PUSTERTAL
61 BILDUNG & SCHULE PZ 20 | 13. OKTOBER 2022

Wichtiger Beitrag für die Almwirtschaft

Interessierte Personen konnten sich auch heuer durch den Lehrgang für die Almbewirtschaftung einen tiefen Einblick in das Almleben erschließen. Der Lehrgang ist damit ein wichtiger Beitrag zur Aufrechterhaltung von Almen. Vor kurzem wurde der Lehrgang mit der feierlichen Diplomübergabe abgeschlossen.

Bereits zum neunten Mal wurde die ses Jahr der Ausbildungslehrgang für Almpersonal im Einzugsbereich des Naturparks Rieserferner-Ahrn durchgeführt, mit dem Ziel, interessierte Abgänger des Kur ses für die Mithilfe auf einer Alm zu motivie ren. Ein leidiges Thema in der Bewirtschaf tung von Almen ist nämlich häufig auch der Personalmangel. So jedenfalls hört man es von einigen betroffenen Almherrn. Um in dieser Hinsicht einen bescheidenen Beitrag zur Lösung des Problems zu leisten und andererseits interessierten Personen die Möglichkeit zu geben, in das Almleben in all seinen Facetten hineinzuschnuppern, haben das Amt für Natur und die Fachschule für Land- , Hauswirtschaft und Ernährung Die tenheim wiederum den beliebten Lehrgang durchgeführt. Im Naturpark gibt es über 100 kleinere und größere Almen, die als soge nannte Kulturlandschaften das Schutzge biet prägen und deren Erhaltung ein wich tiges öffentliches Interesse darstellt.

WICHTIGES PROJEKT

Beim Lehrgang handelt es sich um ein Ko operationsprojekt der Fachschule für Land-, Hauswirtschaft und Ernährung Dietenheim,

dem Amt für Natur (Abteilung Natur) und dem Forstinspektorat Bruneck (Abteilung Forstwirtschaft). In insgesamt neun Ausbil dungstagen bot der Kurs einen umfassenden Einblick in einen Almsommer, vom Auftrieb bis zum traditionellen Almabtrieb. Nach dem Eröffnungstag im Naturparkhaus Rieserferner-Ahrn in Sand in Taufers wur den die weiteren Ausbildungstage zum Teil an der Fachschule Dietenheim- und zum Teil auf Almen innerhalb der Naturparks Rieser ferner-Ahrn und Fanes-Sennes-Prags absol viert. Behandelt wurden an den natürlichen Ablauf des Almsommers angepasste Inhal te: Almbrauchtum im Volkskundemuseum in Dietenheim, Tierhaltung und Tiergesund heit, Herdenschutz, Pflege und Erhaltung der Kulturlandschaft als Lebensraum für ver schiedene Arten, Weidepflege, Weidelen kung, Futter- und Giftpflanzen, Milchver arbeitung und Gästebewirtung auf der Alm. Der Almabtrieb, als Festakt jeder Alm, wird zu Lehrgangsende im Rahmen der Brauch tumspflege thematisiert. Wissenswertes rund um die Naturparks generell und zum Natur park Rieserferner-Ahrn im Speziellen gingen wie ein roter Faden durch den Lehrgang.

62 BILDUNG & SCHULE PZ 20 | 13. OKTOBER 2022
FACHSCHULE IN DIETENHEIM
Barbara Valentin und Veronika Rieder. Die Teilnehmerinnen und Teilnehmer am Lehrgang für Almbewirtschaftung. Vor allem auf die prakti sche Unterweisung wurde viel Wert gelegt.

Am 16. September 2022 wurden im Rah men des letzten Ausbildungstages auf der Huberalm im Mühlbacher Talile die Ur kunden an 13 TeilnehmerInnen des dies jährigen Lehrgangs durch Maria Hochgru ber-Kuenzer, die zuständige Landesrätin, überreicht. Eine weitere Auflage des Kur ses ist für das nächste Jahr geplant.

// Rainer Feichter

Vor kurzem fand der feierliche Abschluss – auch mit Landesministerin Maria Hoch gruber-Kuenzer (rechts) statt.

O-TÖNE EINGEFANGEN

Silvia Oberlechner, Verantwortliche des Naturparkhauses Rieserferner-Ahrn:

Schon zweimal habe ich als Mitarbeiterin des Amtes für Na tur in der Organisation und Durchführung des Lehrgangs mit geholfen. Die Teilnehmerinnen und Teilnehmer sind begeistert von der Vielfalt der Themen und den Umstand, dass der Kurs sehr praxisnah - direkt auf der Alm und im Beisein der Almher ren – abgehalten wird. Nützliches kann sozusagen bestens mit dem Angenehmen verbunden werden.

Gertrud Nußbaumer, Verantwortliche Fachschule für Land-, Hauswirtschaft und Ernährung

Das Anliegen der Fachschule ist es, den Teilnehmerinnen und Teilnehmern durch kompetente Lehrpersonen und Refe rentinnen sowie Referenten das notwendige Rüstzeug für die Mitarbeit auf einer Alm zu vermitteln. Sei es im Bereich der

Viehwirtschaft bis hin zur Milchverarbeitung und der Gäste bewirtung auf der Alm geht es im Lehrgang um aktuelle und wichtige Inhalte, die von den Absolventinnen unmittelbar um gesetzt werden können.

Maria Hochgruber-Kuenzer, zuständige Landesrätin

Die Erhaltung der traditionellen Almwirtschaft, gerade auch in den Naturparks, ist für das Land Südtirol ein großes Anliegen. Diese durch Menschenhand geschaffenen Kulturlandschaften sind nämlich landschaftlich einmalig und beherbergen bei ex tensiver Bewirtschaftung der Flächen auch eine große Arten vielfalt. Ganz zu schweigen, vom Erholungswert der Almen für Einheimische und Feriengäste. Wir müssen allerdings darauf achten, dass der Wert dieser Landschaften aufgrund von Inten sivierungsdruck nicht geschmälert bzw. dauerhaft beeinträch tigt wird.

JEMANDEN EINE LANZE BRECHEN AUS EINEM X EIN U MACHEN

Die Herkunftsgeschichte dieser Redensart reicht weit in die Vergan genheit zurück, als man in Europa noch römische Schriftzeichen ver wendete. In arabischer Schrift verwechselt man Zahlen und Buch staben selten, bei den römischen Zeichen aber sehr leicht. Das V steht z.B auch für die Fünf, das X für die Zehn. Es reicht auch, dem X die Beinchen wegzunehmen, und schon ist es sowohl ein V als auch eine Fünf, und das große V ist auch noch ein großes U. Beim Lesen eines Textes, der Zahlen enthält, kommt es bei der römischen Schrift deshalb oft vor, dass man falsch liest, und zugleich kann man gut manipulieren. Die Redewendung von X und U drückt daher auf freundliche Weise aus, dass man etwas zum eigenen Vorteil falsch interpretiert.

Das Mittelalter lässt grüßen! Verwendet man die Wendung „Eine Lanze brechen“, greift man weit in die Jahrhunderte zurück, als Rit ter Mut und Stärke in direktem Kampf bewiesen. Die Geschicklich keit für bewaffneten Streit erwarben sie in tagtäglichen Übungen und bewiesen ihr Können bei öffentlichen Turnieren. Treue und Verbundenheit untereinander gehörten zur Ritterehre. Immer wieder geschah es, dass ein Recke beleidigt wurde und es zum Zweikampf kam. Die Herausforderung dazu äußerte man oft nur mit einer klar sichtbaren Handlung: Man brach vor dem Geg ner eine Lanze in Stücke. Das bedeutete Kampf auf Leben und Tod. Die Ritterzeit ist längst verflossen, die Geste der Herausforderung hat aber in der Sprache überlebt. Man bricht für jemanden „eine Lanze“ bedeutet, man ergreift öffentlich und eindeutig für ihn oder sie Partei.

mb

63 BILDUNG & SCHULE PZ 20 | 13. OKTOBER 2022
//
//
// mb KURIOSE REDENSARTEN FÜR

Sonnenuntergang

64 LESERFOTOS PZ 20 | 13. OKTOBER 2022 Gemeinsam statt einsam... Sylvia Hofer Auf der Fodara Vedla Alm in Enneberg entdeckt... Paul Alton aus Wengen Wunderschön und vergänglich... Gertraud Karner Hopfgartner aus Mühlwald Sonnenuntergang am Kronplatz Sara Doria Tiere und Natur vereint... Erwin Auer Flying rocks… Irmgard Festini aus Toblach
Margit Holzer aus St. Sigmund

Unser verträumtes

„Fochina“.

65 LESERFOTOS PZ 20 | 13. OKTOBER 2022 Zusendungen an: E-Mail: info@pz-media.it oder PZ, Oberragen 18, 39031 Bruneck Wichtig: Bitte geben Sie Ihren Namen, ihren Wohnort und das Kennwort „Leserfoto“ an! Liebe Leserinnen und Leser, schickt uns Eure schönsten, lustigsten, überraschendsten und/oder atemberaubendsten Bilder –wir zeigen sie dem Pustertal! Mein schönstes Leserfoto Die PZ behält sich das Recht vor, Inhalte und Fotos aus ethischen und anderen Gründen abzulehnen. Sonnenuntergang nach Gewitter in Sexten Michael Kiniger aus Sexten Piz da Peres - Olang Verena Kraler aus Vierschach
Bergdorf
Albert Wolf aus Ahornach Scheckenfalter auf Arnika Annemarie Volgger aus Terenten Unmissverständlicher Wegweiser Marialuise Radl aus Issing Wunder der Natur Herbert Complojer aus St. Vigil/Enneberg

Ein echt tolles Kinderfest

Es war ein voller Erfolg. Die Rede geht vom Brunecker Kinderfest, das am ersten Oktober-Wochenende 2022 or gansiert wurde. Zahlreiche Vereine legten sich mächtig ins Zeug und boten ein tolles Programm. Dabei war der Phantasie keine Grenzen gesetzt. Darüber hinaus wurde ein Unterhaltungsprogramm geboten, das kaum Wünsche offen ließ. Groß und Klein kamen jedenfalls auf ihre Kosten. „Das Fest war ein

66 SPORT & FREIZEIT PZ 20 | 13. OKTOBER 2022
BRUNECK
Eltern und Kinder bastelten und schmückten gemeinsam verschiedene Vogelhäuschen. rewe Alle waren voll bei der Sache. rewe In der Kinderschminkecke... rewe Gesicherter Bergrettungshund. rewe In der Oberstadt beim Basketballspiel. rewe Norbert Tinkhauser und die jungen Feuerwehrleute... rewe Das Unimog-Tankfahrzeug der Feuerwehr Bruneck kam wieder gut an. rewe

scia Zanuso von der Sozialgenossenschaft

„Die Kinderfreunde Südtirol“ und Jochen Schenk vom Bruneck Kronplatz Tourismus.

Die zahlreichen Vereine, der Sponsor Raiff

eisenkasse Bruneck und der Stadtgemein de Bruneck, haben im Zuge des Kinderfes tes ein bleibendes Zeichne gesetzt. Na dann, bis zum nächsten Mal! // Reinhard Weger

Die Bergrettung Bruneck war ebenfalls mit dabei. rewe voller Erfolg. Wir, als Organisatoren, haben sowohl von Seiten der Eltern als auch von allen Mitwirkenden äußerst positive Rück meldungen erhalten“, freuen sich Katiu

67 SPORT & FREIZEIT PZ 20 | 13. OKTOBER 2022 Bei Schmutz und Flecken... Wir sind für Sie da! Josef-Seeber-Straße 8, Bruneck mit Kundenparkplatz Tel. 388 588 0203 info@naturalcleanbrunico.it www.naturalcleanbrunico.it LAVANDERIA & LAVASECCO WÄSCHEREI & TROCKENREINIGUNG natural clean Der Duft der Natur Il profumo della natura Gut gezielt ist halb getroffen... rewe Bei den Vorführungen
herrschte fröhliches Treiben. Kinderfreunde In der Bastel- und Malecke ging es hoch her.
Kinderfreunde Tanz- und Gesangsvorführungen
von
Kindern
und
Jugendlichen.
Martin Corradini Die Vorführungen kamen gut an. M. Corradini Akrobatische Spitzenleistungen. M. Corradini Die Sumsi auf Tour... Kinderfreunde

Der Nachwuchs überzeugt auf ganzer Linie

Am 3. und 4. September 2022 fuhren über 120 Kinder und Jugendliche in den Kate gorien Dual, Easy Down und Cross Country um die begehrten Landesmeistertitel in Pichl/Gsies. Dabei erzielten vor allem die Lorenzner tolle Resultate.

Bei wechselhaften Bedingungen zeigten die jungen Radfahrer ihr Können. Bereits zum 18. Mal fand der traditionelle Abschluss der VSS-Mountainbiker in Pichl/Gsies statt. Tra ditionell standen am Samstag jeweils die Entscheidungen in den Disziplinen Easy Down und Dual im Programm, die Landes meister im Cross Country wurden am Sonn tag ermittelt.

Beim ersten Rennen am Samstag, dem Easy Down – einem leichteren Downhill-Bewerb, bei dem die Kinder einzeln an den Start ge hen – gab es spannende Entscheidungen und die Kinder überzeugten mit ihrem Kön nen. Besonders stark präsentierte sich dabei Mia Pedevilla (ASV St. Lorenzen). Sie schaff te es mit einer Spitzenzeit von 1:46 Minu ten ins Ziel und war damit über vier Sekun den schneller als die Zweitplatzierte Theresa Gasser (Bike Club Klausen). Bei der Katego rie Schüler 1 Buben konnte sich Daniel De manega (Bike Club Klausen, 2:28 Minuten) den Sieg holen.

PACKENDE DUELLE

Beim Dual Slalom – einem Parallel-Slalom, bei dem die Fahrer im KO-System zweimal di

rekt gegeneinander antreten – entschieden manchmal wenige Hundertstel über die Me daillenränge. Greta Scuderi (ASC Kardaun) konnte sich dabei den Sieg in der Kategorie Schüler 1 in 13 Hundertstel vor Marie Kirch ler (Bike Club Klausen) sichern. Auch bei den Buben der Kategorie Kinder 1 ging es ähnlich knapp zu. Samuel Kasslatter (ASC Sarntal) holte sich in wenigen Hundertstel vor Luis Giuliani (Dynamic Bike Team Ep pan) den Landesmeistertitel. Am Sonntag stand schließlich mit dem Cross Country-Bewerb das Highlight auf dem Ta gesprogramm. Je nach Altersklasse waren unterschiedliche Streckenlängen vorge geben. Dabei überzeugte Alex Moser (ASC

Sarntal) in der Kategorie Kinder 2 mit einer Spitzenzeit von unter 10 Minuten (9:58 Mi nuten) und bei den Mädchen der Schüler 2 konnte sich seine Vereinskollegin Magda Moser in einer Zeit von 9:48 Minuten den Sieg holen. Insgesamt zwei Nachwuchsmountainbike rinnen konnten sich in Pichl/Gsies übrigens gleich in allen drei Kategorien den Landes meistertitel sichern: Anna Seppi (Sunshine Racers Nals) in der Kategorie Baby und Mia Pedevilla (ASV St. Lorenzen) in der Katego rie Kinder2. Den Sieg in der Vereinswertung holten sich die Sunshine Racers Nals (496 Punkten) vor dem ASC Sarntal (448) und dem Amateur Bike Club Klausen (408). // ne

CHAOS UND UNSICHERHEITEN RASCH AUSMERZEN

Sechs Meter breit müssen Rodelbahnen ge mäß dem römischen Dekret Nr. 40/2021 sein. Ausnahmen dazu sind im Dekret nicht vor gesehen. Nachdem der Senator und Rechts anwalt Meinhard Durnwalder verkündet hatte, diese Bestimmung sei nicht auf be reits bestehende Rodelpisten anwendbar, gibt sich der zuständige Landesrat Arnold Schuler noch zugeknöpft. „Man überprüfe, wie diese Bestimmung umgesetzt werden kann“, heißt es in einer Antwort auf eine An frage vom Landtagsabgeordneten Alex Plo ner. Gleichzeitig wird aber eingeräumt, dass

Sicherheitsbestimmungen dieser Art in die Zuständigkeit des Staates fallen.

Für Ploner ist jedenfalls dringender Hand lungsbedarf angesagt. „Ich mache bereits seit einiger Zeit auf die neuen staatlichen Be stimmungen zu Rodelbahnen aufmerksam und weise auf die zum Teil recht eigenwilli gen und restriktiven Regelungen für Rodel bahnen hin”, ärgert sich der Niederdorfer. Laut Schuler muss das Skipistengesetz des Landes nun baldmöglichst an das nationa le Dekret angepasst werden. Mal schauen, was da noch kommt…

68 SPORT & FREIZEIT PZ 20 | 13. OKTOBER 2022
MOUNTAINBIKE-LANDESMEISTERSCHAFT IN GSIES
Rund 120 Kinder und Jugendliche fuhren in Gsies um die Wette.
DIE RODELBESTIMMUNGEN
// rewe
Der Landtagsabgeordnete Alexander Ploner.

Ein sensibles Thema

Bei der Verarbeitung von personenbezogenen Daten von Individuen müssen verschiedene gesetzliche Pflichten beachtet werden. Unter „personenbezogene Daten“ versteht man dabei alle jene Daten, wel che die Identifizierung einer Person ermöglichen, wie z.B. Name, Steuernummer uvm. Durch die neue EU-Datenschutz-Grundverord nung (auch DSGVO genannt), in Kraft mit 25. Mai 2018, gelten neue Regeln bei der Verarbeitung von persönlichen Daten. Zweck dieser Verordnung ist der Schutz natürlicher Personen bei der Verarbeitung personenbezogener Daten ist ein Grundrecht. Ge mäß Artikel 8, Absatz 1 der Charta der Grundrechte der Europäischen Union sowie Artikel 16, Absatz 1 des Vertrags über die Arbeitswei se der Europäischen Union (AEUV) hat jede Person das Recht auf Schutz der sie betreffenden personenbezogenen Daten.

Die Grundsätze und Vorschriften zum Schutz natürlicher Personen bei der Verarbeitung ihrer personenbezogenen Daten sollten lauten Artikel zwei gewährleisten, dass ihre Grundrechte und Grundfrei

heiten und insbesondere ihr Recht auf Schutz personenbezogener Daten ungeachtet ihrer Staatsangehörigkeit oder ihres Aufenthalts orts gewahrt bleiben. Diese Verordnung soll zur Vollendung eines Raums der Freiheit, der Sicherheit und des Rechts und einer Wirt schaftsunion, zum wirtschaftlichen und sozialen Fortschritt, zur Stärkung und zum Zusammenwachsen der Volkswirtschaften inner halb des Binnenmarkts sowie zum Wohlergehen natürlicher Perso nen beitragen.

Zweck der Richtlinie 95/46/EG des Europäischen Parlaments und des Rates ist ferner die Harmonisierung der Vorschriften zum Schutz der Grundrechte und Grundfreiheiten natürlicher Personen bei der Datenverarbeitung sowie die Gewährleistung des freien Verkehrs personenbezogener Daten zwischen den Mitgliedstaaten. // rewe

save

69 IT-LÖSUNGEN & HOME OFFICE PZ 20 | 13. OKTOBER 2022 SONDERTHEMA IT-LÖSUNGEN & HOME OFFICE www.fillsystems.it you fill it, we
IT Vollkommen automatisch gesichert und auf unseren Servern verschlüsselt gespeichert = Backup Wir garantieren Dir einen störungsfreien Betrieb des IT-Systems – mit Sicherheit. DeineBeiunssind Datensicher! DER DATENSCHUTZ

Mehr als Information und Beratung

Die Digitalisierung verändert den Alltag in den Südtiroler Betrieben und in der öffentlichen Verwaltung. Es gibt eine ganze Reihe an He rausforderungen und Veränderungsprozesse zu meistern. Die Han delskammer hat dazu eine gezielte Hilfestellung eingerichtet.

Der Bereich „Digitale Dienste“ steht den Südtiroler Unternehmen rund um die digitale Unterschrift, die digitale Identität (SPID) und die digitalen Fahrtenschreiber zur Seite. Die Initiative „Digitales Unternehmen - PID“ bietet hingegen Infor mation und Beratung zu den Themen E-Commerce sowie Recht an. Zudem organisiert der Bereich verschiedene Informationsveranstal tungen zu den Themenbereichen der digitalen Wirtschaft und infor miert Sie über mögliche Beiträge.

E-COMMERCE

Der digitale Wandel

Die Digitalisierung bringt grundlegende Veränderungen für Men schen und Unternehmen. Gerade im Vertrieb tun sich durch die Nutzung neuer Technologien ganz neue Märkte und Kundenseg mente auf.

Bevor man mit dem Onlinehandel beginnt, sollten man zunächst die Ziele klar definieren und sich eine Strategie zurechtlegen. Hin ter einem Onlineshop muss nämlich immer ein Unternehmen ste hen. Bei der Gründung sind einige administrative Schritte notwen dig. Eventuell sind zusätzliche Lizenzen einzuholen. Auch zahlreiche rechtliche Regeln sind zu beachten. Eine fundierte Beratung dazu bietet die Handelskammer Bozen. // rewe

Non-Stop online mit der Fallback-Lösung

Sie fragen sich, was eine Fallback-Lösung ist und was diese so besonders macht? Die Antwort ist ganz einfach: In der digita len Arbeitswelt von heute ist die Abhängigkeit von funktionieren den Internetanbindungen groß. Ein Netzwerkausfall könnte daher weite Bereiche eines Unternehmens auf einen Schlag zum Still stand bringen.

Um sich gegen solche Ausfälle zu schützen, liefern wir mit unserer Fallback-Lösung großen wie kleinen Unternehmen eine persönliche zweite Breitbandanbindung.

Wir finden für Sie die performanteste Kombination aus Glasfaser, VDSL/ADSL, Funk/SAT und LTE und ermöglichen Ihnen so ununter brochenes Arbeiten im Internet. So ist Ihr Unternehmen 24/7 sicher. Zudem müssen Sie, durch die vollautomatisierte Überwachung und Umschaltung, auch im Notfall nicht eingreifen.

70 IT-LÖSUNGEN & HOME OFFICE PZ 20 | 13. OKTOBER 2022 KONVERTO
// PR-Info passion for technology Schnelle und sichere Internetanbindung: fantastisch Klare und deutliche Telefongespräche via Internet: traumhaft . Non-stop online: einmalig. Die Gelassenheit, die eigenen Daten in Sicherheit zu wissen: unbezahlbar Wir machen's einfach. KONVERTO AG Bruno-Buozzi-Str. 8, Bozen Info Center 800 031 031 info@konverto.eu konverto.eu Infos & Bestellung: Kundenberater Franz Winkler 333 624 29 02 DIE DIGITALISIERUNG
www.handelskammer.bz.it

Solider Schutz vor Hackerangriffen

Cyberangriffe können sowohl das Kerngeschäft als auch das Image eines Unternehmens nachhaltig schädigen. Allein des halb verschweigen viele Firmen, dass sie von Hackerangriffen be troffen sind oder waren. Experten schätzen, dass die Dunkelziffer bei horrenden 90 bis 95 Prozent liegt. Um zu den fünf bis zehn Pro zent zu gehören, die ihre unternehmens- und personenbezogenen Daten effektiv unter Verschluss halten, sind wichtige Maßnahmen zu ergreifen. Der Kampf gegen Cyberkriminalität wird immer an spruchsvoller, denn Hacker werden zunehmend gewiefter. Durch die Digitalisierung, auch über Landesgrenzen hinweg, benötigen Firmen offene Systeme für den Informationsaustausch. Obwohl ein einhundertprozentiger Schutz wohl kaum möglich ist, sollten Unter nehmen auf den aktuellsten Stand ihrer Technik und Software set zen. Das betrifft vor allem die von den Herstellern empfohlenen Soft ware-Updates und Virenschutzprogramme. Darüber hinaus sollten sich Unternehmen stets über Neuerungen und derzeitige Bedrohun gen informieren. Nur so kann rechtzeitig und effektiv gegengesteu ert werden. Hierfür eignet sich die Internetseite des Bundesamtes für Sicherheit in der Informationstechnik (BSI) sowie die der Bun des- und Kriminalämter. Obwohl es meistens einen firmeninternen Datenschutz-Verantwortlichen gibt, sollte das Management jeden Mitarbeiter für die Wichtigkeit der IT-Sicherheit sensibilisieren. Denn jeder Mitarbeiter kann dazu beitragen, das Unternehmen nicht un nötig zu gefährden. Überdies sollten die Organisation und Prozes se im Unternehmen geprüft werden. Hierbei geht es um die cyberre levanten Werte des Unternehmens, welchen Risiken sie ausgesetzt

Cyberkriminalität nimmt immer mehr zu. Pexels

sind und wie diese geschützt werden können. Solch ein sicherheits analytischer Ansatz kann im Vorfeld einige Hackerangriffe verhin dern.

71 IT-LÖSUNGEN & HOME OFFICE PZ 20 | 13. OKTOBER 2022 BAD. FLIESE. WELLNESS. BAD. FLIESE. WELLNESS. FALPER Messe Fiera STAND C 21/12 17. - 20.10.2022 Hotel 2022 BETRIEBLICHE MASSNAHMEN GEGEN CYBERKRIMINALITÄT
//

Remote-Arbeit

Arbeitnehmer schreiben ihre E-Mails aus dem Lieblings café, nehmen im Hotelzimmer an Videokonferenzen teil oder lesen Geschäftsberichte im nächstgele genen Park. Remote-Arbeit, oder auch Remote-Work genannt, wird immer beliebter und verbreiteter. Die Corona-Pandemie scheint die sen Arbeitstrend noch weiter vo ranzutreiben. Das Wort “Remo te” lässt sich aus dem Englischen ableiten und bedeutet so viel wie “fern”. Remote-Arbeit lässt sich demzufolge mit “Fernarbeit” über setzen und ermöglicht Arbeitneh mern eine ortsunabhängige beruf liche Tätigkeit. Immer mehr junge Menschen im Alter von 20 bis 35 wollen frei und flexibel arbeiten. Das Internet schläft nie und die Vernetzung über Social-MediaNetzwerke prägen zunehmend die digitale Arbeit. Die BertelsmannStiftung hat in einer internatio nalen Delphi-Studie auf die “Zu

kunft der Arbeit” im Jahr 2050 vorausgeschaut. Auf dieser Grundlage müssen sich Unternehmen auf fle xiblere Arbeitsumfelder einstellen und vermehrt auf die digitale Kommuni kation setzen. Durch die schnell umsetzbare Basis für Remote-Arbeit, können Arbeitnehmer problemlos von überall auf der Welt arbeiten. Eine stabile Inter netverbindung, ein Laptop und Smartphone: Mit die ser soliden Grundausstat tung kann die Remote-Ar beit starten. Natürlich gibt es Jobs, für die eine Prä senz wichtig ist. Aber Bran chen wie der Finanzsektor, Versicherungen, Immobi lien, IT, Marketing, Design, Beratung und Medien kön nen von Remote-Arbeit sehr profitieren. //Remote-Arbeit ermöglicht das Arbeiten

es aus einer Hand.

GIACOMUZZI

Das Komplettangebot für die Südtiroler Ferienhotellerie

Alles aus einer Hand. Perfekt aufeinander abgestimmt: Der Tradi tions- und Innovationsbetrieb Enrico Giacomuzzi, seit 1933 in sei ner Branche aktiv und erfolgreich, bietet Lösungen zur Digitalisie rung sämtlicher Arbeitsschritte für jegliche Art von Gastbetrieb. Mit einem Team von über 50 Mitarbeitern arbeitet Giacomuzzi tagtäg lich an Soft- und Hardware Lösungen für die Ferienhotellerie und Gastronomie.

Vom Moment der Hotelrecherche und -reservierung bis hin zum Check-In, der Buchung der Spa-Anwendungen und Sonderwünsche, dem gesamten Gastro-Angebot innerhalb eines Betriebes und allen weiteren Schritten: Giacomuzzi ist der Experte, wenn es um Hotel dienstleistungen geht.

Ebenso setzt der Spezialist für die Digitalisierung von Gastbetrie ben einen starken Fokus auf Restaurants: vom Kassensystem mit Küchenmonitor und Bestell-Terminals bis hin zu einer innovativen Self-Order-Applikation ist alles mit im Angebot.

Hauptaugenmerk dabei ist der stets hohe Qualitätsanspruch der an gebotenen Produkte, die dem neuesten Stand der Technik entspre chen und auch unter extremer Belastung einwandfrei funktionieren.

Für mehr Details über die #giacoworld einfach den Stand auf der Messe Hotel in Bozen (D26/50-54) besuchen oder sich unter www.giacomuzzi.it inspirieren lassen.

72 IT-LÖSUNGEN & HOME OFFICE PZ 20 | 13. OKTOBER 2022 WAS IST DAS GENAU?
von überall auf der Welt. Pexels
// PR-Info
Stand D26 50-54 giacomuzzi.it A

DER Software-Entwickler aus Bruneck

Im Jahre 2013 gründeten Matthias Unterberger und Paul Leiter das Softwareunternehmen Solunio GmbH mit Sitz in Bruneck. Die Vision der beiden Informatiker: moderne und flexible Softwaresysteme für die industrielle Produktion zu entwickeln, die sich durch eine einfache und intuitive Bedienung auszeich nen. Heute nutzen internationale Industrieunternehmen die von Solunio entwickelte Software „Visual Shop Floor“, um ihre Abläufe in der Produktion und Logistik zu verbessern.

Industrieunterneh

men sind bestrebt, ihre Prozesse in der Produktion und Logis tik laufend zu überwa chen und zu optimieren. Die Software „Visual Shop Floor“ von Solu nio unterstützt sie dar in und nutzt dabei das Potenzial der Digitali sierung. Die Software er fasst, analysiert und vi sualisiert die Daten aus allen Produktionsbereichen und stellt diese als leicht verständliche Informationen zur Verfügung. Abweichun gen, Störungen und Schwachstellen können damit frühzeitig erkannt und behoben werden, Verbesserungspotentiale werden aufgezeigt. Weiters überwacht Visual Shop Floor die Produktionsressourcen und bietet die Möglichkeit, Arbeitsaufgaben aufzuzeigen und umzu setzen. Außerdem können Standards, die für alle Standorte gelten, durch die digitale Vernetzung schnell und einfach weltweit bereit gestellt werden. Der Vorteil von Visual Shop Floor für Unternehmen: Sie erhalten eine anschauliche Gesamtübersicht ihrer Abläufe, Pro zesse lassen sich gezielt steuern und Schwachpunkte beheben, die Produktivität und Qualität erhöhen sich.

INTERNATIONAL IM EINSATZ

Zahlreiche Unternehmen in elf Ländern und an 87 Standorten welt weit nutzen Visual Shop Floor von Solunio, vor allem mittlere und große Industriebetriebe in den Branchen Automotive, Maschinen bau und Elektronikfertigung. In Südtirol setzen Unternehmen wie GKN, Intercable, Weger Walter und Alupress auf die Software aus Bruneck. Darüber hinaus darf Solunio auch international bekann te Größen wie TDK Electronics, Plansee und die Deutsche Bahn zu seinen Kunden zählen.

DEINE ZUKUNFT BEI SOLUNIO

Was macht Solunio so erfolgreich? „Unsere größte Stärke sind unse re Mitarbeiter. Mit einem Team von jungen und motivierten Informa tikern und Software-Experten ist es uns gelungen, ein innovatives und zuverlässiges Softwareprodukt zu entwickeln, das von unseren Kunden sehr geschätzt wird“, erläutert Matthias Unterberger, Ge schäftsführer von Solunio, „zusätzlich profitieren wir davon, dass viele Unternehmen das Potenzial der Digitalisierung für die Opti mierung von Prozessen erkannt haben. Wir sind daher ein gefrag ter Partner, der das notwendige Know-how mitbringt.“

Die Teammitglieder von Solunio werden aktiv in die Weiterentwick lung der modularen Software eingebunden. Ihre Ideen und Inputs tragen dazu bei, Visual Shop Floor laufend zu erweitern. „Das Wohl befinden unserer Mitarbeiter hat bei uns höchste Priorität: moderne Arbeitsplätze, neueste Hardware und Softwaretools, flexible Arbeits zeiten, Getränke und frisches Obst sind nur einige der Vorzüge. Die kontinuierliche Fortbildung unserer Mitarbeiter ist uns ebenso sehr wichtig. Neue Mitarbeiter unterstützen wir gerne beim Einstieg in unsere Welt“, erläutert Matthias Unterberger.

Für die Erweiterung unseres Teams suchen wir:

Junior Softwareentwickler/in

Senior Softwareentwickler/in

Projektmanager/in

Key Account Manager/in

Marketingleiter/in

Entwickeln wir (uns) gemeinsam

73 IT-LÖSUNGEN & HOME OFFICE PZ 20 | 13. OKTOBER 2022
-
-
-
-
-
weiter! Weitere Infos findest Du unter www.solunio.com/jobs // PR-Info SOLUNIO GMBH
Solunio GmbH Rienzfeldstraße 46, I-39031 Bruneck Tel. +39 0474 646057 info@solunio.com • www.solunio.com softwareforsmartproduction Anzeige

Kompetente Beratung für IT-Lösungen

Sobald Unternehmen eine funktionierende IT-Infra struktur aufbauen möchten, reicht es nicht, etliche Computer, Mäuse, Tastaturen und Smartphones zu kau fen und die Arbeitsplätze an ihre Mitarbeiter freizuge ben. Damit alles reibungslos, effizient und sicher starten kann, benötigt man fachmännisches Knowhow. Spezia lisierte Firmen nehmen sich genau dieser Vermittlung und Beratung an. Gemeinsam mit ihren Kunden erörtern sie den individuellen Bedarf und schlagen verschiedene IT-Lösungen vor. Anschließend nehmen sie sich der Be schaffung und Installation der Hardware, Software und Netzwerkkomponenten an. Die darauf abgestimmte ITWartung und der Service bei Fragen und Anliegen runden eine kompetente IT-Beratung ab. Besonders im Hinblick auf Hard- und Software benötigen viele Firmen fachkun dige Beratungen. Soll es Windows oder iOS sein? Wel che Software wird für das Kerngeschäft benötigt? Wie umfangreich soll die Telefonanlage sein? Welche Viren programme eignen sich am besten? Viele Fragen, auf die spezialisierte Profis Antworten wissen. Zudem kön nen diese Experten auch Einweisungen oder komplette Schulungen für den sicheren Umgang mit der gewünschten Software bieten. Si cher soll auch der Schutz gegen Hackerangriffe sein. Deshalb ist die ideale IT-Sicherheit ein wesentlicher Faktor in der IT-Beratung. Ste hen sowohl Hard- und Software als auch Telefonanlage und Netz werk, kann das Tagesgeschäft beginnen. Trotz einer soliden IT-Inf

Fachkundige Berater können kleinen und großen Unternehmen solide IT-Lösungen prä sentieren. Pexels

rastruktur ist eine regelmäßige Wartung des gesamten IT-Systems unerlässlich. Beauftragt man eine IT-Fachfirma, kümmert sich der Support um die regelmäßigen Wartungen und die akut auftretenden IT-Probleme im Arbeitsalltag. So ist ein Unternehmen rundum gut betreut und ideal geschützt. Nun kann das Hauptaugenmerk allein dem unternehmerischen Erfolg gelten.

Die digitale Komplettlösung für innovative Gemeinden

Sämtliche Anträge können einfach, ortsunabhängig, digital gestellt, mit elektronischer Unterschrift versehen, bei Bedarf mit digitaler Stempelmarke ergänzt und mittels pagoPA bezahlt werden.

Jede Gemeinde erhält ein mit ihrem Wappen gebrandetes Portal. Die Bürger können sicher mittels SPID, CIE oder bequem mit Ausweisverifizierung einsteigen.

Den Gemeinden stehen folgende Module zur Verfügung:

A) Comunix®-Mensa: Komplett digitaler Schulausspeisungsdienst von der Anmeldung, über das Upload ärztlicher Zertifikate bzgl. Intoleranzen, Simulation der Mensabelegung, Genehmigung, Ab rechnung bis hin zur Bestätigung für die Steuererklärung.

B) Comunix®-Raumbuchung: Digitale Reservierung gemeindeeige ner Infrastrukturen bzw. von der Gemeinde verwalteter Räumlich keiten.

C) Comunix®-Meldungen: Der Bürger kann online, Schäden melden und Hinweise geben und mit der Gemeindeverwaltung in Inter aktion treten.

D) Comunix®-Digitaler Aktenzugang: Wir digitalisieren firmenintern (www.digiact.bz) Bau-, Melde- und Standesämter und stellen die se zum Aktenabruf bereit.

Alles mit wenigen Klicks – Comunix®. Wir beraten Sie sehr gerne.

74 IT-LÖSUNGEN & HOME OFFICE PZ 20 | 13. OKTOBER 2022 ZAHLUNGEN MENSADIENST ONLINE DIENSTE DEMOGRAPHISCHE DIENSTE RAUMBUCHUNGFÖRDERANSUCHEN BÜRGERBETEILIGUNG BAUAMT MELDUNGEN Bürger, Vereine und Unternehmen können mit Comunix® sämtliche Online-Dienste, Meldungen, Reservierungen und Zahlungen bequem über das Portal oder in der App abwickeln und dies mit sicherem Zugang mittels digitaler Identität - bürgernah, schnell, ortsunabhängig und umweltschonend. DIE DIGITALE KOMPLETTLÖSUNG FÜR SÜDTIROLS GEMEINDEN www.comunix.bz.it NEW!Deine digitale Gemeinde il tuo Comune digitale DEMNÄCHST AUCH IN IHRER GEMEINDE COMUNIX
// PR-Info KOSTEN UND NUTZEN
//

Betriebssoftware im Homeoffice

Viele Mitarbeiter und Führungskräfte finden großen Gefallen am Homeoffice. Mehr Gestaltungsspielraum, Flexibilität und eine gesündere Work-Life-Balance werden dem Homeoffice zugespro chen. Aber Unternehmen geraten hierbei oft an ihre Grenzen. Denn das Ausrollen von branchenspezifischer Software und kontinuierli chen Updates ist häufig mit Problemen verbunden. Weil Unterneh men nur eingeschränkt auf die Computer ihrer Mitarbeiter im Ho meoffice zugreifen können oder das Datenvolumen ihre Infrastruktur überfordert, kommt es abermals zu Schwierigkeiten in diversen Arbeitsprozessen. Sobald Firmen viele Mitarbeiter über zentrale Ser ver im Unternehmen mit aktueller Software versorgen müssen, kom men große Datenmengen zusammen. Das kostet nicht nur viel Geld, sondern auch Datenvolumen. Eine Alternative ist eine Software-Ver

teilung über eine herkömmliche Internet-Cloud. Hierbei entstehen jedoch nicht nur Kosten für die Datenspeicherung, sondern meis tens auch für den anfallenden Traffic. Dieser Problematik nahmen sich Technologieunternehmen an und kreierten neue Cloud-Diens te, um Arbeitnehmern im Homeoffice ein reibungsloses und kom fortables Arbeiten zu ermöglichen. Zudem existieren hierbei cloud basierte Lösungen für das Gerätemanagement, um alle Systeme in ihrer klar definierten digitalen Infrastruktur unter Kontrolle zu be halten. Sobald Unternehmen auf die Computer ihrer Mitarbeiter im Homeoffice zugreifen können, spart das Zeit und Geld und sorgt für mehr Effizienz im Tagesgeschäft.

Innovation und beste Qualität

Mitten im technologischen und digitalen Wandel steht das Unter nehmen James Stoppa seit 1972 als zuverlässiger Partner den Kun den zur Seite.

Da die Herausforderungen für Betriebe kontinuierlich zu nehmen, werden intelligente und innovative Lösungen maßgeschneidert angeboten. Von der mobilen telematischen Kasse zum Kassensys tem, und vielen interressanten Möglichkeiten dazwischen, steht alles unter dem Begriff „Smart Wor king“. Dank diesem kön nen Arbeits schritte be schleunigt und aufein ander abge stimmt wer den, um z.B. dem Gast im Restaurant einen noch besseren Service zu bieten. Viele

Neuigkeiten, wie z.B. der digitale Kassen bon direkt auf das Smartphone des Kun den - kein Verbleichen oder Verlieren mehr dieser, und viele andere interessante Lö sungen im Bereich der Registrierkassen und Systeme können Sie auf unserer neuen Austellungsfläche bestaunen.

75 IT-LÖSUNGEN & HOME OFFICE PZ 20 | 13. OKTOBER 2022
// PR-Info Goethe Str. 13b - 39031 Bruneck (BZ) Tel. 0474 55 57 50 info@jamesstoppa.it - www.jamesstoppa.it K A SS E NS Y ST E ME U N D R E GI ST RI E R K A SSE N Halle4/Stand008 JAMES STOPPA IN BRUNECK
scannen - bestellen - bezahlen GRENZEN UND SCHWIERIGKEITEN
//
Jedes Softwareprogramm kann an seine Grenzen stoßen. Pexels

Mobiles Arbeiten

Die Corona-Krise

zeigte deutlich, wie gut und effizient so wohl das Homeoffice als auch das mobile Arbei ten funktioniert. Viele Mitarbeiter wirken zu friedener, ausgegliche ner und genießen es, ihren Arbeitsalltag fle xibler zu gestalten. Ei nige verwenden die Be griffe “Homeoffice” und “mobiles Arbeiten” sy nonym, aber sie ent scheiden sich wesent lich voneinander. Wo das eigene Zuhause als Arbeitsort im Homeoffi ce, gesetzlich auch Tele arbeit genannt, klar de finiert ist, ist mobiles Arbeiten vollkommen ortsunabhängig. Man erbringt folglich seine Arbeitsleistung, ohne dass ein Arbeitsort vorgeschrieben ist. Für das mobile Arbeiten existieren derzeit noch keine festen gesetzlichen Regelungen, aber Arbeitgeber sollten für eine solide Grundausstattung technischer Geräte sorgen. Ein Laptop

mit unternehmensre levanter Software so wie ein Smartphone ermöglichen es Arbeitnehmern pro duktiv zu arbeiten. Viele Unternehmen setzen vermehrt auf mobiles Arbeiten, denn viele Umfra gen zeigen deutlich die Beliebtheit die ses Arbeitsmodells auf. Dennoch gibt es keinen gesetzlichen Anspruch auf mobi les Arbeiten. Manche Firmen setzen zu sätzlich zum Arbeits vertrag eine Verein barung für mobiles Arbeiten auf. Aber auch dann besteht kein rechtlicher Anspruch, denn mobiles Arbeiten ist noch nicht im deutschen Arbeitsgesetz verankert. Allein die Vorteile, wie Steigerung der Work-Life-Balan ce, mehr Flexibilität und eine Verbesserung des Arbeitgeberimages sind Gründe, warum sich das schon bald ändern könnte. //

Förderungen zur Digitalisierung von Kleinstunternehmen

Kleinstunternehmen stellen einen wesentlichen Teil der heimi schen Wirtschaft dar. Die Steigerung der digitalen Kenntnisse und Dienstleistungen ist für ihre Modernisierung und Wettbewerbs fähigkeit unumgänglich.

Die Landesregierung unterstützt die Steigerung der digitalen Kom petenzen durch die Digitalisierung von Kleinstunternehmen mit einer spezifischen Förderung. Diese Maßnahme sieht eine finan zielle Unterstützung „für Ausgaben zum Erwerb von Kompetenzen

zur Einführung und Betreuung neuer Technologien vor.“ Förderfähi ge Vorhaben beinhalten neben der Verbesserung von Geschäftsmo dellen auch den Ankauf und die Optimierung von Software.

Für den Einstieg in die Digitalisierung ist ein digitales Doku mentenmanagement-System in der Cloud bestens geeignet.

Der Beitragsantrag muss bis zum 31. Oktober 2022 vor Beginn des Investitionsvorhabens eingereicht werden. Besuchen Sie www.alpin.it/clouddms für weitere Informationen. // PR-Info

76 IT-LÖSUNGEN & HOME OFFICE PZ 20 | 13. OKTOBER 2022 DokumentenManagement in der Cloud +39 0471 180 84 10 www.alpin.it/clouddms Mit Förderungen . Für Kleinbetriebe Dokumente in der Cloud. Immer griffbereit. ALPIN GMBH
MERKMALE UND VORTEILE
Mobiles Arbeiten sorgt für eine gesunde Work-Life-Balance. Pexels

Sicher und erfolgreich mit dem richtigen Partner

97 Prozent der Systems-Kunden bestätigen ihre Zufriedenheit mit dem systems Service des Südtiroler IT-Experten mit Sitz in Bruneck, Bozen und Schlanders. Denn systems küm mert sich verlässlich um ein leistungsfähiges, stabiles und sicheres IT-System seiner Kun den, während diese sich voll auf ihr Geschäft konzentrieren können. Auch im Home Office.

Die Mischung aus Expertise, Flexibilität, Er reichbarkeit und Servicequalität macht sich bezahlt: 97% der systems-Kunden geben in Kundenbefragungen an, zufrieden oder sehr zufrieden mit dem systems Service zu sein. Auch bezüglich Erreichbarkeit, Reaktionsge schwindigkeit, Kompetenz und dem Einhalten von Vereinbarungen gibt es Bestwerte. „Wir brennen für IT und machen die Anliegen unse rer Kunden zu unseren eigenen. Und wir arbei ten täglich daran, den Service noch weiter zu verbessern“, erklärt systems-Mitarbeiter Ge rold Oberlechner.

ALLES SICHER ERLEDIGT

Verlässliche Rundum-Betreuung für höchste Sicherheit, Leitungs fähigkeit und Stabilität hat bei systems Priorität: Jeder Kunde hat andere Bedürfnisse, systems bietet die jeweils passende Lösung. Damit können sich die Kunden um ihr Kerngeschäft kümmern an statt um ihre IT. So übernimmt systems je nach Kundenwunsch die Betreuung der gesamten IT oder auch nur Teile davon. Je nach Kun denwunsch können diese Services von Bronze über Silver bis Gold angepasst werden. Außerdem stehen die IT-Experten von systems ihren Kunden 365 Tage im Jahr, auch an Wochenenden und Feier

BEREIT FÜR SMART WORKING!

tagen, zur Seite. Je nach Service paket hält systems die IT-Sys teme seiner Kunden im Auge. Tauchen potenzielle Fehler oder Gefahren auf, greift das ServiceTeam von systems von sich aus proaktiv ein, noch bevor ein ech tes Problem entsteht. Damit die IT-Infrastruktur immer auf dem neuesten Stand bleibt, werden regelmäßig Updates und Wartun gen durchgeführt. Der Schutz der Daten seiner Kunden hat für sys tems oberste Priorität, als IT-Ex perte steht das Unternehmen für höchste Sicherheit und Qua litätsstandards. Schnell und fle xibel reagieren, garantiert er reichbar sein und maximale Transparenz bei Kosten und Leis tungen steht bei systems im Vor dergrund.

Von der IT-Infrastruktur über IT-Security und Softwareentwicklung bis zur Digitalisierung von Geschäftsprozessen betreut systems seit mehr als 30 Jahren seine Kunden umfassend. systems unterstützt Unternehmen und ihre Mitarbeiter auch, damit im Home Office ef fizient und sicher gearbeitet werden kann. Ob Hardware und pas sendes Zubehör, Tools für die ortsunabhängige Zusammenarbeit, das geeignete Unternehmensnetzwerk oder der richtige Schutz für den digitalen Arbeitsplatz, systems hilft, an den richtigen Stellen digital aufzurüsten und Zeit und Kosten zu sparen. // PR-Info

SERVICEQUALITÄT BESTÄTIGT

97% unserer Kunden sind mit unserem Service zufrieden oder überdurchschnittlich zufrieden. Darüber freuen wir uns sehr, aber das reicht uns noch nicht.

arbeiten täglich für 100% Zufriedenheit.

77 IT-LÖSUNGEN & HOME OFFICE PZ 20 | 13. OKTOBER 2022
Wir
www.systems.bz 97% KUNDENZUFRIEDENHEIT SYSTEMS GMBH
Gerold Oblechner, ASA Experte - systems GmbH

Fernzugriff auf Computer und Co.

F ernsteuerungsprogramme ermöglichen dem Sys temadministrator eines Unter nehmens den Zugriff auf alle im Netzwerk angeschlossenen Computer. Von seinem Arbeits platz aus kann er demzufolge Fehler suchen und beseitigen, aber auch Mitarbeiter überwa chen. Letzteres ist zwar hierzu lande unzulässig, aber durch aus machbar. Deswegen ist der Posten eines Systemadminist rators einer kompetenten und vertrauenswürdigen Person zu übergeben. Aber auch seine Rechte können eingegrenzt wer den, um einzelne Verzeichnis se und Dateien vor dem Zugriff zu schützen. Hat das Unterneh men einen Betriebsrat, können die Sicherheitsbestimmungen mit diesem abgestimmt und die Beschäftigten in Kenntnis ge setzt werden. Der Fernzugriff auf alle Mitarbeiter-PCs ist allerdings eine schnelle und kostengünstige Hilfe in der Not, denn bei IT- und

Per Fernzugriff kann der Administrator auf diverse Computer des Unternehmens zugreifen.

Netzwerkproblemen kann der Systemadministrator sofort kontak tiert werden und anschließend handeln. //

360-Grad-Rundum-Service für die IT

Seit mehr als 20 Jahren ist Mediacomp im Bereich der IT-Systeme und IT-Infrastruktu ren ein zuverlässiger Dienstleister und fin det für seine klein- und mittelständischen Kunden immer das passende Konzept.

DIE LEISTUNGEN:

• Mediacomp unterstützt die Kunden bei der Auswahl passender Hard- und Software.

• Mediacomp garantiert Betreuung und Op timierung der ganzheitlichen IT-Infrastruk tur und findet angemessene Lösungen für die Herausforderungen der digitalen Trans formationen.

• Mediacomp liefert Cloudlösungen für effi zientes Homeoffice.

• Mediacomp löst auftretende Probleme schnell und liefert raschen Reparaturservice.

78 IT-LÖSUNGEN & HOME OFFICE PZ 20 | 13. OKTOBER 2022 www.mediacomp.it 360° Rundum-Service im IT-Bereich HardwareCloud Beratung SicherheitBackup Graphic Design www.claudiagabrielli.com MEDIACOMP
// PR-Info AUTORISIERUNG EINES SYSTEMADMINISTRATORS
Pexels
79 SERVICE PZ 20 | 13. OKTOBER 2022Lösungen auf Seite 86 1 2 3 Projektleiter Elektro (m/w/d) mader.bz.it/jobs JOB DES MONATS

Malen

Welcher der 3 Drachen fliegt am höchsten in den Himmel? Rechne alle Zahlen im Schwanz(beim Kopf beginnend) zusammen und dann siehts du, wer es ist! Wer steigt am höchsten? 8 7 7 7 7 3 5 3 4 22 2 3 + 3 3 3 10 5 5 5 3 2 2 2 2 5 4 + + + ++ + + +-+ + + ++ = = =
nach Zahlen Vervollständige das Bild und male es aus. Lösungen auf Seite 86 Kinder-Rätselspaß mit PZ-PeziKinder-Rätselspaß mit PZ-Pezi PfützeBananenschaleKürbis Beim Drachen steigen lassen! Max und Juli haben so ein Spaß beim Drachen fliegen lassen, dass sie nicht sehen wohin sie laufen Wo rein rennt Max im Eifer? Den Drachen steigen lassen! Finde die 10 Unterschiede! Zwei Ganoven brechen in eine Apotheke ein. Flüstert der eine: „Ich trage die Kasse raus. Nimm du was gegen deinen Husten mit!“

KLEINANZEIGER

ANNAHME

AUTO & ZUBEHÖR

Willst Du Dein Auto verkaufen? Fairer Preis, sofortige Bezahlung im Autohaus Moser

unverbindlich bewerten:

TIERE & ZUBEHÖR

Bruneck: 15 Jahre alte weibl. Katze sucht ein ruhiges Zuhause, wo sie gut umsorgt und geliebt wird. Idealerweise in einer Woh nung mit Singlehaushalt und kei nen anderen Katzen oder Hunden. Tel. 348 2668618

ALLES MÖGLICHE

Trockenes, gespaltenes Brennholz zu verkaufen. Tel. 346 4703519

Jaguar F-pace SUV, 180PS/ 2000 TD Farbe weiß, mit Alljahres bereifung, 115.000 km, Scheck heftgepflegt in Top Zustand zu verkaufen. Tel. 344 2460120

FREIZEIT

Das Tarock-Kartenspiel lernen beim Tarockclub St. Lorenzen

Jeden Freitag 19.30 Uhr im Ver einshaus. Info unter Tel. 340 243 28 86

Terenten: 6m gespaltenes trockenes Brennholz, 30-35cm lang zu verkaufen. Zustellung im Raum Terenten bei Bedarf mög lich. Tel. 340 1918174

Hausmannhof in Raas: Frisch gepresster Apfelsaft - zu 1, 3, 5 oder 10 Liter- sowie Äpfel und Kürbisse (Hokkaido) zu verkaufen. Tel. 338 6371945.

Sand in Taufers: Gut erhaltener Billardtisch mit gesamtem Zube hör Marke „T. Guzzetti & C.“ um ständehalber an Selbstabholer zu verkaufen. Fotos über Whatsapp erhältlich. Tel. 333 9032243

Verkaufe günstig stylische mo derne Glasfertigdusche als Eckausführung, 90x210cm mit großer Duschbrause, integrierter Dampfdusche und Sitz mit Rü ckenmassage und Stereo (noch original verpackt) Tel. 335-5258822

Gesundheit für Ihre Füße erhalten! Aktivierung mit Reflexzonenmas sage in Schuheinlagen. Ver schiedenen Größen und passend für alle Schuhe. Tel. 335 5258822 Propolistropfen direkt vom Im ker zur Stärkung und Schutz des Immunsystems von privat zu ver kaufen. Tel. 335 5258822

Bruneck: Funktionstüchtige Kof ferschreibmaschine Privileg 160T, wenig benützt um 25 € abzugeben und eine Koffernäh maschine der Marke Viktoria, wie neu um 70 € umständehalber abzugeben. Tel. 348 5535181

Edilponte-Gerüst mit Zubehör in gutem Zustand wird verkauft. 320 m² zu einem sehr günstigen Preis. Nähere Auskünfte unter: Tel. 327 0716272 oder alex@langebner.com

Leserinnen und Leser,

Pustertaler Zeitung (PZ) bietet mit diesem Portal einen weiteren wichtigen Leser-Service. Wir wollen damit eine würdige Plattform des Gedenkens, der Erinnerung und der Verabschiedung für unsere verstorbenen Mitmenschen schaffen. Damit sie in unserem Geiste weiterleben. Nähere Informationen unter:

Franz Schwemberger

HOLZBÖDEN

HOLZBÖDEN

Bodenleger

Bodenleger

Erinnerung

schwerster,

81 SAG ES MIT DER PZ ... PZ 20 | 13. OKTOBER 2022 Autonita GEBRAUCHTWAGEN AN- UND VERKAUF ACQUISTO E VENDITA MACCHINE USATE d. Nuka Dardan Nordring 25 I-39031 BRUNECK MwSt. Nr./Part. IVA: 03134640212 | St. Nr./Cod. Fisc.: NKUDDN96C23B220P Tel.: +39 347 732 49 95 +39 329 745 53 76 E-mail: nuka.autonita@outlook.it d. Nuka Dardan Fabrikstraße 2 (gegenüber Karosserie Leitner) | Bruneck Tel.: +39 347 732 49 95 nuka.autonita@outlook.it Alle Modelle - BaujahrePreisklassen - Auch Fahrzeuge mit hohen Kilometerstand, sowie Unfall-, Getriebe-, oder Motorschaden Wir suchen Gebrauchtwagen
SCHLUSSDie nächste Ausgabe erscheint am: 27.10.2022 für Glückwünsche & Wortanzeigen: 18.10.2022
Tel. 0474 550 830 E-Mail: info@pz-media.it Rubrik: Kleinanzeiger www.pz-media.it
Jetzt
www.dasautohaus.it
PZ-TRAUERPORTAL In liebevoller
Der letzte Gifel war dein härtester und
aber du hast ihn in deinem Tempo bestiegen und dein Ziel erreicht. *28.09.1925 in St. Lorenzen †05.10.2022 in Lienz Liebe
die
Tel. 0474 550830 • info@pz-media.it • www.pz-media.it
SCHLEIFEN • lackieren • ölen • wachsen
Fußboden - Fachbetrieb Fa. Priller Oskar - prilleroskar@gmail.com TEL. 348 2321852
SCHLEIFEN • lackieren • ölen • wachsen
Fußboden - Fachbetrieb Fa. Priller Oskar - prilleroskar@gmail.com TEL. 348 2321852

Ihr Bodenschleifer

Funktionstüchtiger Samsung

Kombivideorekorder mit VHSKasetten + DVD-Player und Fern bedienung zum Superpreis von 89 € anzubieten. Foto auf Anfrage über WhatsApp möglich.

333 1577117

Tragbarerer Stereo Radio mit Kasettenrekorder und CD-play er um nur 29 € abzugeben. Foto auf Anfrage über WhatsApp mög lich. Tel. 333 1577117

Mädchen-Winterjacke für 13-14 Jahre, mit Kapuze, Farbe lila um 9 € zu verkaufen. Foto auf Anfrage. Tel. 333 1577117

Bruneck: Sehr schöne und moderne Wohnwand für Wohn zimmer, Farbe weiß/braun, B219cmxH197cmxT55cm, indi viduell kombinierbar (bereits ab montiert) an Selbstabholer günstig abzugeben. Tel. 324 6174452

Bruneck: Samsung Galaxy core prime G 360 in Topzustand mit Schutzglas inklusive um € 60 zu verkaufen. Tel. 348 5535181 Lappach: Ein brauner Krauttopf zu 30 l wird umständehalber um 55€ an Selbstabholer abgegeben. Tel. 346 9504745

FREUNDSCHAFT & LIEBE

Humorvoller 51-jähriger Mann, schlank mit gepflegter Erschei nung sucht eine Partnerin mit Herz, Hirn und einem Lächeln im Gesicht. Im Idealfall bist Du sympa thisch, spontan und offen für neue Begegnungen. Tel. 331 3871971

Die Kleiderkammer im Kolpinghaus hat das ganze Jahr hindurch jeden Dienstag Nachmittag von 14-16 Uhr und jeden Donnerstag Vormittag von 9-11 Uhr geöffnet. Frau Hedwig Nicolussi: Tel. 0474 411175 mittags o. abends

STELLENMARKT

Stellensuche

Ortsansässige Person bietet stun denweise Begleitung/Betreuung von älteren Menschen im Raum Bruneck und Umgebung an. Tel. 347 5754731

Suche Arbeit als Badante im Raum Bruneck und Umgebung ab 01.November 2022. Tel. 327 4770505

Suche ab sofort Arbeit als Ba dante in Bruneck und Umgebung. Tel. 331 4497869 Steln

KFZ Mechaniker (m/w) in Vollzeit für KFZ Werkstatt in Bruneck zum sofortigen Eintritt gesucht. Tel: 348 4510230

Hotel*** Martha in Reischach sucht erfahrenes Zimmermäd chen für 3-4 Stunden vormittags. Tel. 331 1076378

Mitarbeiter(innen) für Brune cker Christkindlmarkt gesucht; Weihnachtsstadel im Tschurt schenthalerpark. Tel. 348 2213705

Stellenmarkt

GKN Hydrogen befasst sich mit der Entwicklung sicherer und emissionsfreier grüner Wasserstoffspeicher.

suchen leidenschaftliche Pioniere, die sich für eine

neutrale

bessere Welt einsetzen.

sind auf der Suche nach:

Bewirb Dich

82 SERVICE PZ 20 | 13. OKTOBER 2022 Wir
Instandhaltung/Gebäudemanagement Ingenieur Elektrotechnik/Elektronik Elektriker Servicetechniker
jetzt! Die
Wir
CO2
und
GKN Hydrogen Fabrikstraße 5 39031 Bruneck www. .it Sofa Manufaktur Vintl Lodenwelt Für die Wintersaison 2022/2023 Dezember bis April suchen wir: 2 Frauen für die Samstagreinigung der Wohnungen Christophorus Mountain Residence St. Vigil-Enneberg Tel 0474 501333 info@christophorus-residence.com ALLE FÄCHER / ALLE SCHULEN / ÜBERALL IN SÜDTIROL Nachhilfe ... die ankommt! Tel. 0471 978875 | www.pegasus.bz.it
Tel.
IHR VORTEIL IHR BEITRAG IHRE ZEITUNG BEITRAGS-FORM 1 JAHR 2 JAHRE GRATIS Wortanzeigen f. Private Promotion (Südtirol) 25 Euro 40 Euro 3 WA für 1 Jahr 6 WA für 2 Jahre Gönner (Südtirol) 30 Euro 50 Euro 6 WA für 1 Jahr 12 WA für 2 Jahre Für das Italien-Abo und Auslands-Abo wenden Sie sich bitte an das Sekretariat unter Tel. 0474 550830 oder via E-Mail: info@pz-media.it RAIKA BRUNECK: IBAN IT81 V080 3558 2420 0030 0004 081 +39 393 8800880 www.rentabox.it Mo.-Fr. 08-12 / 14-18 Wir lösen ihr Platzproblem rentabox Self Storage 39030 St. Lorenzen Aue 14 Harald 348 518 22 31 BODENBELÄGE www.pescosta-boden.it Boden „Landhausdiele Eiche” klick zum Preis von 31,90 Euro + MwSt./m2 Made in Germany Angebot! Angebot!
Schleifen, Ölen oder Lackieren von Holzböden sowie Grundreini gung von geölten Holzböden Tel. +39 392 6711700 - Bruneck E-Mail: boednschleiffn@gmail.com
in der PZ ...

Gemeindearztpraxis

Dr. Spechtenhauser

Stern/La Villa im

vom 1. Dezember 22 bis

23 eine interessierte Praxishilfe (m/w) mit Schwerpunkt Bürotätigkeit.

Bei Interesse melde dich unter:

Mithilfe im Haushalt

bzw. Kinderbetreuung in Percha gesucht

Wochenende frei, leistungsgerechte Entlohnung, mit Citybus direkt erreichbar

Tel. 349

Wir suchen Dich als BUCHHALTER/IN IN TEILZEIT

Du bist verantwortlich für Erstellung und Abwicklung der Kundenbuchhaltung

Du bearbeitest den Zahlenverkehr und das dazugehörige Mahnwesen

Außerdem bereitest Du die Monats und Jahresabschlüsse vor, erstellst MwSt. Abschlüsse und bist zuständig für die Reisekostenabrechnung

Bewirb Dich jetzt auf: jobsbysinter com/offene stellen

Die Lebenshilfe sucht engagierte Mitarbeiter*innen für die Führung eines Wohnhauses für Menschen mit Autismus-Spektrum-Störungen in Bruneck

Im Wohnhaus bieten wir, neben der individuellen Grundversorgung, der Assistenz und der individuellen Begleitung von Menschen mit Autismus Spektrum Störungen, auch Aktivitäten im Bereich der Beschäftigung, der Freizeitgestaltung, der Bewältigung der alltäglichen Lebensführung.

Du bist wertschätzend in deiner Haltung, flexibel, engagiert, empa thisch, motiviert und verantwortungsbewusst.

Du hast eine Ausbildung als Erzieher*in, Sozialbetreuer*in, Pflegehelfer*in, Familienhelfer*in oder Krankenpfleger*in.

Wir bieten Dir eine abwechslungsreiche und sinnvolle Tätigkeit, die Wahl zwischen einer Teil- oder Vollzeitanstellung (36 Wochenstunden bei Vollzeit), Einführung und Begleitung in die Arbeitsabläufe, regelmä ßige Supervisionstreffen und interessante Weiterbildungsmöglichkei ten.

Spricht dich diese Art von Arbeit an? Dann melde dich mit deinem Lebenslauf bei Franca Marchetto, 342-8293183, marchetto@lebenshilfe.it

Sie sind voller Energie und möchten diese mit uns teilen?

Dann bewerben Sie sich bei der Alperia Gruppe, um mit rund 1.200 Kolleginnen und Kollegen ein gemeinsames Ziel zu verfolgen: 100 % grüne Energie.

Für unser Team suchen wir Verstärkung (m/w/d): Kundenberater für unsere Energy Stores in Brixen und Bruneck

Haben wir Ihr Interesse geweckt? Dann freuen wir uns auf Ihre Onlinebewerbung: www.alperiagroup.eu/karriere

Wir suchen Bodenständige Handwerker (m/w/d) für die Montage

Wir suchen Bodenständige Handwerker (m/w/d) für die Montage

Du bist ein bodenständiger, ehrlicher Handwerker und es ist dir wichtig, exakte und saubere Arbeiten abzuliefern. Du denkst mit, packst an und hast Spass und Freude daran, bei unseren innovativen Projekten weltweit mit zuarbeiten.

Du bist ein bodenständiger, ehrlicher Handwerker und es ist dir wichtig, exakte und saubere Arbeiten abzuliefern. Du denkst mit, packst an und hast Spass und Freude daran, bei unseren innovativen Projekten weltweit mit zuarbeiten.

In unseren Teams herrscht ein gutes Arbeitsklima, eine wert schätzende Grundhaltung und der Humor darf auf keinen Fall fehlen. Für deine Aufgaben stehen dir moderne Werkzeuge, Maschinen und Betriebsmittel zur Verfügung.

In unseren Teams herrscht ein gutes Arbeitsklima, eine wert schätzende Grundhaltung und der Humor darf auf keinen Fall fehlen. Für deine Aufgaben stehen dir moderne Werkzeuge, Maschinen und Betriebsmittel zur Verfügung.

Vielleicht hast du Freunde oder Kollegen, mit denen du ein Montage-Team bilden möchtest und ihr seid motiviert, euch gemeinsam zu bewerben. Wir freuen uns auf eure OnlineBewerbungsunterlagen!

Vielleicht hast du Freunde oder Kollegen, mit denen du ein Montage-Team bilden möchtest und ihr seid motiviert, euch gemeinsam zu bewerben. Wir freuen uns auf eure OnlineBewerbungsunterlagen!

Kontakt

Kontakt

Bei Fragen steht dir unser Südtiroler Thomas Fürler, Montageleiter, T +39 3245 35 54 43, thomas.fuerler@blumer-lehmann.ch gerne zu Verfügung.

Bewerbungen an Ursula Keller-Braun,

Bei Fragen steht dir unser Südtiroler Thomas Fürler, Montageleiter, T +39 3245 35 54 43, thomas.fuerler@blumer-lehmann.ch gerne zu Verfügung. Bewerbungen an Ursula Keller-Braun, Leiterin Personal T +41 71 388 58 30 ursula.keller@blumer-lehmann.ch

www.blumer-lehmann.ch/stellen

83 SERVICE PZ 20 | 13. OKTOBER 2022
Leiterin Personal T +41 71 388 58 30 ursula.keller@blumer-lehmann.ch www.blumer-lehmann.ch/stellen
in
Gadertal sucht
30. April
Tel.: 335 609 9388
7142421

Hotel Gissbach

ab dem

Massageraum

separatem Zugang für einen selbständigen Masseur (m/w), der auch

Hotelgäste

Pharmazeut/in

St. Barbara Apotheke in St. Georgen/Bruneck

Vollzeit oder auch Teilzeit ab Anfang Dezember gesucht.

Bitte telefonisch zu Geschäfts zeiten unter 0474/551400 oder Mail an info@st-barbara.it.

Wir sind Unionbau, eines der größten Südtiroler Bauunternehmen. Eines mit über 110 Jahren Erfahrung, mit Rückgrat, starken Werten und einem ebenso starken Team.

Zur Verstärkung suchen wir:

MITARBEITER (M/W) FÜR DIE ABTEILUNG EINKAUF

DEIN IDEALES PROFIL:

• Mehrjährige Berufserfahrung im Bereich Einkauf, idealerweise bereits im Bausektor

• kaufmännische und technische Grundkenntnisse

• Ausgeprägte kommunikative Fähigkeiten

• Verhandlungsgeschick und Organisationstalent

• Fähigkeit zum analytischen und zielorientierten Arbeiten

• sehr gute EDV-Kenntnisse, vor allem im MS-Office

• sehr gute Deutsch- und Italienischkenntnisse

WIR BIETEN:

• Vielseitigen und abwechslungsreichen Aufgabenbereich

• Aus- und Weiterbildung

• Tolle Projekte, gute Entlohnung, Teamevents

• Unsere Guit-Isch-Gong-Prämie

Wir freuen uns auf deine Bewerbung: Unionbau AG / Personalabteilung Gewerbegebiet Mühlen 11 / 39032 Sand in Taufers

T 0474 677 811 / jobs@unionbau.it

Wir suchen:

Aktuelle Jobangebote (m/w):

EDV-MITARBEITER

IT-MITARBEITER

PROJEKTBETREUER

TECHNISCHER SACHBEARBEITER

Technik und Verkauf

ELEKTRIKER

MITARB. EINKAUF/ SEKRETARIAT

Verstärkung unseres Teams in Bruneck suchen wir (m/w/d): Bewerbungen bitte an personal@euroclima.com

METALLFACHARBEITER

METALLFACHARBEITER

Tel. 0474/570900

Stellenbeschreibung unter: www.euroclima.com

SCHWEISSER

Bewerbungen bitte an personal@euroclima.com Tel. 0474/570900

Oberleiter Trading GmbH ist ein sehr erfolgreiches Unterneh men mit ausgezeichnetem internationalen Ruf und Qualitäts ansprüchen im Großhandel mit Lebensmitteln.

Werde Teil unseres jungen Teams in Bruneck und bewirb dich unter:

Zur Entlastung unseres Innendienstteams suchen wir zum nächstmöglichen Zeit punkt einen erfahrenen und engagierten Mitarbeiter als

personal@euroclima.com Tel. 0474/570900

Office Management – Sekretariat (m,w,d) in Vollzeit

Weitere INFOS unter www.euroclima.com oder www.karriere-suedtirol.com

In dieser abwechslungsreichen Funktion entlasten Sie das bestehende Team in der Organisation und der Gestaltung des Bürobetriebs, erledigen vielfältige Sekreta riats- und Administrationstätigkeiten, bereiten relevante Informationen und Daten für die Geschäftsführung auf und unterstützen diese Unsere Erwartungen an Sie:

· Abgeschlossene kaufmännische Ausbildung

· Hohe Eigeninitiative und Kommunikationsstärke

· Selbstständige und strukturierte Arbeitsweise

· Gute MS-Office Kenntnisse

· Flexibilität

Ihre Perspektiven:

· Lokaler Standort (Bruneck) mit internationaler Ausrichtung

· Angesehener Arbeitgeber mit werte- und vertrauensbasierter Unternehmenskultur

· Dynamisches Unternehmen mit einem motivierten Team

· Attraktive Entlohnung (abhängig von Erfahrung und Qualifikation)

Sind Sie interessiert?

IMMOBILIEN

Mietsuche

Ruhige, sehr saubere Familie mit gesichertem Einkommen sucht eine 3/4 Zimmerwohnung zu fairem Mietpreis ab sofort in Bruneck und Umgebung zu mieten. Tel. 389 7678315

Lehrer mit Anstellung in Bruneck sucht eine 1-2 Zimmerwohnung längerfristig in Bruneck und Umgebung zu mieten. Tel. 348 7283354 Eine Familie mit fixem Einkommen sucht eine 3/4 Zimmerwohnung zu moderatem Preis in Bruneck und Umgebung zu mieten. Tel. 393 0505260

Ortsansässige Familie sucht eine 3-4 Zimmerwohnung in Bruneck und Umgebung zu mieten. Tel. 333 3696463

Ortsansässige Mutter mit 2 Kin dern und Katze sucht ein neues Zuhause in Sand in Taufers/ Ahrntal oder Umgebung zu mie ten. Ideal wären 3 Schlafzimmer Gerne Garten oder Erdgeschoss. Tel. 340 2378634

Sie möchten verkaufen?

Kontaktieren Sie uns unverbindlich für eine kostenlose Schätzung Ihrer Immobilie.

Wir bieten Ihnen ehrliche, zuverlässige und transparente Beratung.

Mair Immobilien - Tel. 340 4668669 www. mair-real.it

Bruneck.

Wir vermieten einzelne möblierte Büroräume mit 1 oder 2 Arbeitsplätzen.

> Die ideale Lösung für Start-up, Freiberufler, Handwerker etc.

> Moderne IT-Infrastruktur.

> Günstige Lage.

> Fußläufig zum Zentrum.

Parkmöglichkeit.

Bürogemeinschaft Bruneck Mob. 335 1017471

84 SERVICE PZ 20 | 13. OKTOBER 2022
>
Dann freuen wir uns auf Ihre Bewerbung per Mail info@oberleiter-trading.it Oberleiter Trading GmbH, Stegenerstraße 24, I-39031 Bruneck (BZ)
Oberleiter
Trading srl ist ein sehr erfolgreiches Unternehmen mit ausgezeichnetem internationalem Ruf und Qualitätsansprüchen im Großhandel mit Lebensmitteln. Zur Entlastung unseres Innendienstteams suchen wir zum nächstmöglichen Zeitpunkt einen erfahrenen und engagierten Mitarbeiter als Office Management – Sekretariat (m,w,d) in Vollzeit In dieser abwechslungsreichen Funktion entlasten Sie das bestehende Team in der Organisation und der Gestaltung des Bürobetriebs, erledigen vielfältige Sekretariats- und Administrationstätigkeiten, bereiten relevante Informationen und Daten für die Geschäftsführung auf und unterstützen diese Unsere Erwartungen an Sie: Abgeschlossene kaufmännische Ausbildung Hohe Eigeninitiative Selbstständige und strukturierte Arbeitsweise • Gute MS-Office Kenntnisse • Stressresistenz und Flexibilität Ihre Perspektiven: • Lokaler Standort (Bruneck) mit internationaler Ausrichtung • Angesehener Arbeitgeber mit werte- und vertrauensbasierter Unternehmenskultur Dynamisches Unternehmen mit einem motivierten Team Attraktive Entlohnung (abhängig von Erfahrung und Qualifikation) Sind Sie interessiert? Dann freuen wir uns auf Ihre Bewerbung per Mail an info@oberleiter-trading.it Oberleiter Trading srl, Stegenerstrasse 24, I-39031 Bruneck (BZ)
BEWERBUNGEN AN OFFICE@CASTELLANUM.IT WERDE IMMOBILIENMAKLER/IN FÜR GEWEREBEIMMOBILIEN IN BRUNECK WIR BILDEN DICH AUS!
Zur
|
Ausführliche
• Transportlogistik (50%) • Mitarbeiter Konstruktion • Elektriker • Metallfacharbeiter • Servicetechniker • Betriebsmechaniker
für
in
Im
vermieten wir
26.12.2022 einen
mit
unsere
mit betreut. Kontaktdaten: Ausserhofer Bernd Tel. 348 2601916

Mietangebote

Niederrasen: Neue unmöblierte 80m² Wohnung in einem kl. Kondominium, Klimahaus A mit 3 Schlafzimmern,1 Tages-WC + Bad, Küche (unnmöbl.) Wohnzim mer, Keller + 2 Autostellplätze ab sofort zu vermieten. Tel. 347 5069139

Bruneck: Sonnige neue Einzimmerwohnung, Klimahaus A, voll möbliert an Ortsansässige zu vermieten. Tel. 0474 556028 (Bürozeiten)

Immobiliensuche

Baugrund, sanierungsbedürf tiges Haus oder Bauernhof zu besten Bedingungen zu kaufen gesucht! Prisma Immobilien –Tel. 0474 976261.

Neuwertige, teilmöblierte Wohnung in Ellen/St. Lorenzen, ca. 84 m²,

sofort zu vermieten 3 Zimmer, Küche, 1 TagesWC, 1 Bad, Kellerraum, Holzhütte und Garten

Interessenten melden sich bitte bei Forer Erich: Handy: 335-8111900 oder Mail: forer.gmbh-srl@rolmail.net

4 Zimmer Wohnung für eine kleine ortsansässige Familie in Bruneck/St. Georgen/Stegen/ Dietenheim/St. Lorenzen mit Garten oder alternativ großer brei ter Terrasse zu kaufen gesucht. Kontakt: Tel. 333 9290890.

Immobilplus Bruneck sucht gegen beste Bezahlung, Wohnungen, Häuser, Baugründe im Pustertal, Tel. 0474 530300

Immobilienangebot

Bruneck: neuwertige, möblierte, sonnige 3-Zimmerwohnung, E.K. B, verkauft Immobilplus, Tel. 0474 530300

Einzimmerwohnung mit Keller in Bruneck für 60.000 € zu verkau fen. Mieteinnahme 3.000 € jährlich. Immobilien Adolf Unterpertinger, Bruneck. Tel. 348 2612656

WIR VERKAUFEN:

WIR VERKAUFEN: BRUNECK: attraktive Geschäftslokale/Büro/ Ambulatorium/Studio ab 93 m², in Zentrums nähe, mit Parkplatz • Büro/Studio in

BRUNECK: Ausserragen: neu sanierte 2/3-Zi-Wo. Südbalkon ab 252.000; Wohnhaus, dreistöckig, im Zentrum, 3 Stockwerke

SAND:

REISCHACH: Eckreihenhaus, frei, 480.000; gesamtes letztes Stockwerk, neu, 118 m2; 2Zi-Wohnungen, frei, ideale Geldanlage

PFALZEN: herrliche 3-Zi-Wo mit Garten. gr. Keller, Garage 305.000, Übergabe: 2013 NASEN: schöne Neubauwohnungen, 2-3 Zimmer, herrliche Lage, Klima B ab 190.000 GAIS: Neubauwohnungen, verschiedene Größen, Übergabe 2013 MÜHLEN in TAUFERS: 1-Zi-Wo., eingerichtet 114.000; 3-Zi-Wo., Klimahaus B, 265.000

WIR VERMIETEN:

LUTTACH: neues Bauprojekt – Fünfzimmer wohnungen mit Garten, 3 Schl.Zi., 2 Bäder, Doppelgarage, Klimah. A TERENTEN: Duplexwohnung, in herrlicher Lage, 4 Zimmer,

85 SERVICE PZ 20 | 13. OKTOBER 2022 www.seeber-immobilien.it Wir suchen eine Wohnung! IMMOBILIEN NIEDERKOFLER GMBH 0474 410 400 info@immobil-niederkofler.it Zur Homepage Wir suchen/kaufen im Raum Südtirol: - Geschlossene Höfe - Alte Häuser - Baugründe - Landw. Grundstücke KOSTENLOSE ERSTBERATUNG! STERNWIESE Wohnungen für Ansässige Vermietete 3-Zimmerwohnung mit Keller und Garagenstellplatz RIEDINGER 4-Zimmerwohnung mit 2 Balkonen OBERGOLS Wohnen im Grünen TURMWIESE Wohnungen für Ansässige RANALTER mit Blick auf die Dolomiten Sonniges Reihenhaus mit Garten 3-Zimmerwohnung mit 2 sonnigen Balkonen 29 - 78 m² 71 m² 74 m² 85 m² 40 - 67 m² 43 - 54 m² 45 - 91 m²112 m² 1 - 3 2 3 1 - 2 1 - 2 1, 33 2ab 170.000 € + MwSt. Nettofläche Schlafzimmer Preis 330.000 € + Steuer 420.000 € + MwSt. ab 320.000 € + Steuer ab 225.000 € + MwSt. ab 235.000 € + MwSt. 695.000 € + Steuer 375.000 € + Steuer Uttenheim | 3615 St. Georgen | 3700 A+ EE A+ C A+ DA+ Pfalzen | 3257 St. Lorenzen | 3660 Toblach | 3494 Toblach | 3292Olang | 3714 Bruneck | 3697 Wir präsentieren unsere Wohnimmobilien... BACHER METALLBAU Sand in Taufers - 0474 678313 bachermetallbau@gmail.com AUTOMATISCHE SCHIEBETÜREN –CAMPING ANTHOLZ Automatische Schiebe- und Falttüren Ga ragentore Türen Balkonverglasungen Alu fenster Glasbau Windfänge Vordächer Sie möchten Ihre Wohnung, Ihr Haus verkaufen? Rufen Sie uns an, wir beraten Sie gerne und unverbindlich. Immobilcom, Tel.: 0474 556002, info@immobilcom.net Um unser Angebot für unsere Kunden zu erweitern, suchen wir Häuser, Grundstücke, Wohnungen, Höfe, Wälder im ganzen Pustertal und Eisacktal. Unverbindliche Wertschätzung! Tel. 0474 554666 | www.ausserhofer.immo
ab
Tel. 0474 554666 Bruneck - www.immoka.com
2 Bäder, 2 Keller, Garage 260.000 BRUNECK: Büroräume im Zentrum, Erdgeschoss, 180 m2 , Garagen, 450.000 Europastraße 15 | 39031 Bruneck Tel. 0474 554666 | www.ausserhofer.immo
bester Alt stadtlage, 1. Stock, 350.000
DIE IDEALE GELDANLAGE: gepflegte Kleinwohnung., letzter Stock, teilmöbliert, Keller, Garage, 170.000 EHRENBURG: 4-Zi-NeubauWg., ruhige Lage, Süd-Ost, Wohnraum/Küche, 3 Schl.Zi., gr. Bad, 2 Balkone, Keller, Garagenstellplatz, Kl.H. A, 393.000 • Wohnhaus mit 3 Wohneinheiten VINTL/DORFZENTRUM: Café, hochwertig einge richtet, mit Küche, Raucherraum, WC, Terrasse, Parkplätze
Bruneck/Zentrum: attraktive Büro- und Praxis flächen, ca. 120 m², Open Space, 2 gr. Büroräume, WC, Garage, 1.200,00 Sie überlegen Ihre Immobilie zu verkaufen? Wir beraten Sie gerne in einem unverbindlichen Erstgespräch!

Bruneck

Bauernmarkt

Jeden Freitag von 7.30 bis 12:30

Uhr von Mai bis Oktober am Gra ben in Bruneck

Joseph Hyden -Schöpfungs messe

Am Sonntag 23.10.2022 ab 18.00 Uhr in der Pfarrkirche.

St. Lorenzen

Initiative: Repair Café - Reparieren statt wegwerfen

Am Samstag 15.10. von 14:00 bis 17:00 Uhr im Inso Haus. Info: Inso Haus, 0474 474 450

Sand in Taufers

Vortrag: Magic Cleaning - Wie richtiges Aufräumen dein Leben verändern und den Sinn für Nach haltigkeit stärken kann

Am Montag 24.10.22, ab 19:00

Uhr in der Öfftl. Bibliothek „P.J.A. Jungmann“ mit der Referentin: Ber ta Pircher Margesin. Anmeldung: Öff. Bibliothek Taufers, 0474 677 535, bibliothek@sandintaufers.eu,

St. Peter

Vortrag: Chronischer Stress und Schlafstörungen im Familienall tag: wie damit umgehen?

Am Mittwoch 19.10. ab19:30 Uhr im Vereinssaal (Kellergeschoss Grund schule) mit dem Referent: Hartmann Raffeiner.

Steinhaus

Info-Veranstaltung: ZyklusshowElternabend

Am Fr. 21.10.22, von 17:00 - 19:00 Uhr und der Workshop: Zyklus

show Am Samstag 29.10.22, von 13:00 - 18:00 Uhr, jeweils im Ju gend- und Kulturzentrum Alte Volks schule mit der Referentin: Gaia Mure da, Hebamme. Infos: Jugendgruppe Aggregat, Tel. 0474 652020 Anmeldung: Jugendgruppe Aggre gat, info@aggregat.it o Bildungsweg Pustertal, info@biwep.it

Percha

Vortrag: Der letzte Wille im Gesetz - Testament und Erbfolge

Am Mi. 19.10. ab 19:30 Uhr im KiBiZ mit der Referentin: Angelika Kofler, Rechtsanwältin.

Olang

Südtiroler Volksmusikkreis: Unser Jubiläum - ein Abned mit echetr Volksmusik

Am Freitag 21-.10.um 19.30 Uhr im Gasthof Alte Goste Anmeldung erforderlich.

Toblach

Vortrag: Letzte Hilfe Kurs Am Ende wissen, wie es geht

Am Sa. 22.10. von 9:00 - 13:00 Uhr in der Bibliothek „Hans Glauber“. Anmeldung: AG Familie, Bibliothek „Hans Glauber“, Toblach 0474 972 040

Sexten

Vortrag: Mehr Generationen unter einem Dach - Für ein gutes Mit einander daheim und im Familien betrieb

Am Freitag 14.10.22, um 20:00 Uhr in der Bibliothek Claus Gatterer mit den Referenten: Susanne Fischer und Erich Reichsthaler, Lebens- und Sozialberater

Vortrag: Aufwachsen in der Pan demie - Wie hat Covid Kinder und Jugendliche verändert?

Am Dienstag 18.10. von 19:30 bis 21:00 Uhr im Pfeifhoferhaus, Kirch weg 7, mit dem Referent: Hartmann Raffeiner.

Schabs

Benefizveranstaltung: Kultur in der Fabrik mit Max von Milland

Am Freitag, 21. Oktober ab 20.00 Uhr im Hauptsitz der Zingerle AG. Anmeldung: kostenlos unter www.mastertent.com

WEITERBILDUNGSKURSE am Berufsbildungszentrum Bruneck

• Von Verkäufer/in zur/m emotionalen Modeberater/in Zielgruppe: Verkäufer/innen, Quer- und Wiedereinsteiger/innen im Modebereich Zeitraum: 21.10.2022 - 22.10.2022, 15 h

• BL Gewinnen ohne zu besiegen: sich überzeugend durchsetzen Zielgruppe: Mitarbeitende im Handel und der Verwaltung Zeitraum: Mittwoch, 23.11.2022

• BL Beruflich Telefonieren als Kom petenz Zielgruppe: Beschäftigte im Handel und der Verwaltung Zeitraum: Dienstag, 22.11.2022

• Drechseln in Längs- und QuerholzGrundkurs Zeitraum: Sa, 12.11.2022 - Sa, 03.12.2022 (4 Samstage)

• Schimmelpilz in Innenräumen Zielgruppe: Handwerker/innen, Verkäu fer/innen im Fachhandel, Sachverständi ge, Hausverwalter/innen Zeitraum: Fr, 11.11.2022, 4 h

• Schalen von Sichtbeton Zielgruppe: Maurer/innen, Bautechniker/ innen Zeitraum: Do, 17.11.2022 - Fr, 18.11.2022

• Lomi Lomi - Grundkurs Zielgruppe: Wellnesstrainer/innen, Kosmetiker/innen Zeitraum: Samstag, 29.10.2022 bis Montag, 31.10.2022

• Grundlagen für Sauna und Aufguss Zielgruppe: Mitarbeiter/innen im Well nessbereich, Kosmetiker/innen Zeitraum: Freitag, 04.11.2022 - Samstag, 05.11.2022

• Braut-Make-Up Zielgruppe: Kosmetiker/innen, Friseur/ innen, Beschäftigte im Beauty-Bereich Zeitraum: Sonntag, 20.11.2022 bis Montag, 21.11.2022

ANMELDUNGEN:

TURNUS APOTHEKEN

Der Dienstwechsel der Apotheken findet jeweils am Freitag um 19 Uhr statt.

Die unten angegebenen Öff nungszeiten beziehen sich auf Werktage. Am Sonntag gelten folgende Öffnungszeiten: 9 - 12 Uhr und 16 - 19 Uhr

Der Notdienst gilt außerhalb der Öffnungszeiten für dringende Fälle und erfordert die Vorlage eines ärztlichen Rezeptes.

14. - 21.10. 2022

Apotheke St. Anna – Bruneck Öffnungszeiten 08:30 - 12:30 / 15:00 - 19:00

Telefonische Erreichbarkeit: 00:0023:59, Tel. 0474 555264

Apotheke Kiens - Kiens Öffnungszeiten 08:00 - 12:00 / 16:00 - 18:00 Uhr

Telefonische Erreichbarkeit: 00:0023:59 Uhr, Tel. 0474 564077

Apoteca Corvara - Corvara Öffnungszeiten 9:00 - 12:00 / 15:30 - 18:30 Uhr

Telefonische Erreichbarkeit: 00:00 - 23:59 Uhr, Tel. 0471 836173

21. - 28. 10. 2022

Apotheke St. BarbaraSt. Georgen Öffnungszeiten 08:30 - 12:30 / 15:00 - 19:00 Uhr

Telefonische Erreichbarkeit: 00:00 - 23:59 Uhr, Tel. 0474 551400

Sonnenapotheke- Pfalzen Öffnungszeiten 08:30 - 12:30 / 15:00 - 19:00 Uhr

Telefonische Erreichbarkeit: 00:00 - 18:59 Uhr, Tel. 0474 529081

Apoteca Alta Badia - Abtei Öffnungszeiten 09:00 - 12:00 / 15:30 - 18:30 Uhr

Telefonische Erreichbarkeit: 00:0023:59 Uhr, Tel. 0471 847152

Öffnungszeiten

Recyclinghof Bruneck:

Dienstag

Angehörige & Freunde von Alkoholikern

Kontakt Südtirol:

86 SERVICE PZ 20 | 13. OKTOBER 2022
u. Donnerstag: 07.15 Uhr - 12.15 Uhr & 13.30 Uhr - 17.30 Uhr Mittwoch u. Samstag: 07.15 Uhr - 12.15 Uhr
VERANSTALTUNGEN & KURSE T. 0474 550 830 • info@pz-media.it Rubrik: Veranstaltungenohne Gewähr LÖSUNGEN: SUDOKU, KREUZWORT - & KINDERRÄTSEL 1 2 3 info@aa-suedtirol.com | www.anonyme-alkoholiker.at Tel. +39 334 8314515 ALKOHOLPROBLEME? Es gibt eine Lösung. Nehmen Sie mit uns Kontakt auf! Beim Drachen steigen lassen! Max rennt direkt in eine Pfütze! Den Drachen steigen lassen! Ergebnisse: rot: 18; rosa: 17; blau: 15 ... also steigt der rote Drache am höchsten! Wer steigt am höchsten? NOTDIENST | PRONTO SOCCORSO Samstag & Feiertage | sabato & giorni festivi: 12.00 – 15.30 Uhr | mobile +39 335 7820187 Sterzing Vipiteno Jaufenstr. 5 Via Giovo Tel. 0472 767650 www.dentalclinic-dallatorre.it
Tel. 0474 57 34 11, Fax 0474 57 34 99 Anmeldung bis: 2 Wochen vor Kursbeginn in schriftlicher Form www.weiterbildung-bruneck.org
0474 944 469 Bruneck (Seeböckhaus) Di, 15.00 Uhr Brixen (Domgasse 2) jeden 2 + 4. Mo im Monat, 15.00 UhrMEETINGS

Teilmöblierte Vierzim merwohnung im ersten Stock eines Privathauses mit nur zwei Wohn einheiten, in schöner Lage in Nie derdorf mit Dolomitenblick. Keine Kondominiumsspesen. Ein Garten, ein Dachboden, ein Hofraum sowie ein gemeinschaftlicher Außenbereich

Autos gehören

Angebot

Kleiderkammer vom Vinzenzverein Bruneck jeden 1. und 3. Donnerstag im Monat von 14.30 bis 16.30 Uhr in der Mühlgasse 2

Parkinson Selbsthilfegruppe Pustertal

Wir treffen uns wieder im Haus der Vereine (Bocciahalle) mit der Musiktherapie mit Annemarie*.

Die Treffen: Mi. 9.11.2022 & Mi. 23.11.2022 von 10-11 Uhr *jeder ist herzlich willkommen Nähere Auskünfte unter: Tel. 334 365 17 46 oder 0474 410832

Selbsthilfegruppe

bei Depression & Angststörungen

Bruneck: Montag, 17.00 Uhr 14-tägliche Treffen

Wichtig: Anmeldung beim Verein LICHTUNG; Tel: 333 468 622 0 oder info@lichtung-girasole.com Teilnahme nur möglich nach Erstgespräch mit der Gruppenleiterin.

Kleiderkammer vom Vinzenzvereinigung Toblach jeden 1. und 2. Samstag im Monat von 9:00 bis 11:00 Uhr und jeden 3. Dienstag von 15:00 bis 17:00 Uhr im Bahnhofsgebäude von Toblach

WIR SIND FÜR SIE DA!

Kapuzinerplatz 9 – 39031 Bruneck

Tel. 0474 551327

Montag: 15.00 – 19.00 Uhr Dienstag, Mittwoch und Donnerstag: 8.30 – 12.00 Uhr Gustav-Mahler-Straße 3b – 39034 Toblach

Tel. 3351211392

Montag bis Mittwoch von 9.00.-.11.00 Uhr Donnerstag von 9.00 – 11.00 Uhr und von 16.00 – 18.00 Uhr

Verein

Frauen helfen Frauen Bruneck

Paul-von-Sternbach-Str. 6 I-39031 - Bruneck (BZ) www.frauenhelfenfrauenbruneck.it

Tel. 0474 410 303 info@frauenhelfenfrauenbruneck.it

Öffnungzeiten:

Montag - Freitag: 8.30 - 11.30 Uhr Mittwoch: 15.00 - 17.00 Uhr oder nach Vereinbarung

87 SERVICE PZ 20 | 13. OKTOBER 2022 grundzufrieden. mit sicherheit. Mehr Informationen unter immobilien-prisma.it Franco Mingrone Geprüfter Immobilienmakler Kontaktieren Sie mich unverbindlich! T *39 0474 976 261 franco@immobilien-prisma.it Verschiedene Dreizimmerwohnungen im neuen Küblerhof in Prags zu verkaufen! TRADITION TRIFFT MODERNE www. egal .bz.it; adobe stock Kontaktieren Sie uns: Tel. +39 0474 431271 www.aurimmobil.com AUR1378:
für
zum
dazu. 469.000 € + Registergebühr Vierzimmerwohnung . Niederdorf
Eppan - Brixen - Bozen - Verona/Gardasee (neu ab 2023) www.sanikal.com BATH & TECHNOLOGY Besuchen Sie uns auf der Messe Hotel 2022! 17. bis 20. Oktober - Messe Bozen

Turn static files into dynamic content formats.

Create a flipbook
Issuu converts static files into: digital portfolios, online yearbooks, online catalogs, digital photo albums and more. Sign up and create your flipbook.