The Probe September 2024

Page 1


References: 1. Vs baseline, Nathoo et al. J Clin Dent. 2009;20 (Spec Iss):123 –130 (when toothpaste is applied directly with a finger tip to each sensitive tooth for one minute.) 2. With continued use, Docimo et al. J Clin Dent. 2009;20 (Spec Iss):17–22. 3. Vs previous formula, in vitro acid resistance after 5 brushings, report by Hines 2021, Data on File, Colgate-Palmolive Technology Center (2021).

1 and long-lasting

with enhanced acid

2

3 80.5 % Long-lasting reduction in sensitivity pain2 Reduction in sensitivity pain from the first use1 60.5 % And superior dental tubule occlusion4 with PRO-ARGIN + Zinc Phosphate

References: 1. Vs baseline, Nathoo et al. J Clin Dent. 2009;20 (Spec Iss):123 –130 (when toothpaste is applied directly with a finger tip to each sensitive tooth for one minute.) 2. With continued use, Docimo et al. J Clin Dent. 2009;20 (Spec Iss):17– 22. 3. Vs previous formula, in vitro acid resistance after 5 brushings, report by Hines 2021, Data on File, Colgate-Palmolive Technology Center (2021). 4. Pro-Argin technology vs Stannous fluoride / sodium fluoride technology. Liu et al. J Dent Res. 2022;101(Spec Iss B):80.’ Scan the QR code to learn more or visit www.colgateprofessional.co.uk/products/sensitive-instant-relief

Dental organisations respond to civil unrest

Several dental organisations offered their responses to the civil unrest and riots that plagued the nation at the start of August. The Diversity In Dentistry Action Group (DDAG) issued a statement in response, expressing horror at the scenes of violence across parts of the country, fuelled by racism and Islamophobia.

“We welcome fair and open discussions however, these conversations should not be an open invitation for voicing hate speech, spreading misinformation on social media or in professional environments,” the DDAG statement notes. “As a profession we hope the workforce is reassured that we need not tolerate racism, discrimination, or abuse whether from colleagues, patients, or wider community groups.

“We call on all dental organisations to provide emotional support, protection against racism for all within the clinical environment. We call on our various prestigious institutions to stand by and protect our students; for prominent dental societies to provide support via networks for their members who need somebody to talk to if they have been impacted; and for the stalwart high street practices to have internal conversations with their teams to reassure them and have a complete zero tolerance approach to behaviours that promote any divisive ‘othering’ or cause offense.

“Lastly, we call for the profession to stand strong and in solidarity with each other regardless of race, ethnicity or faith and continue to provide oral health care for our patients during this challenging time with the kindness, respect and dignity we always have done.”

The DDAG was initially hosted by the Office of Chief Dental Officer for England (OCDO) in 2020 to promote equality, equity, and inclusivity within the dental profession. In 2022, it was moved over to the College of General Dentistry, reflecting its mission to work across both NHS and private dentistry, throughout the UK and beyond, and to ensure the whole team are represented and supported.

BADN supports DDAG response

The British Association of Dental Nurses (BADN), offered its support for the DDAG statement: “BADN is a non-

political independent trade union and, as such, welcomes dental nurses of all backgrounds, ethnicities, faiths, nationalities and race as members – it will not tolerate racism, discrimination, abuse, hate speech, spreading of misinformation, xenophobia or other offensive behaviour,” the statement from the UK’s professional association for dental nurses explains.

“As the professional association of dental nurses in the UK, BADN calls upon all dental nurses to support each other and their dental team colleagues, regardless of ethnicity, race or faith, in continuing to provide quality oral health care to their patients with dignity, compassion and respect, in accordance with the GDC Standards.”

GDC statement

The General Dental Council (GDC) issued the following statement:

“We are appalled and upset by the totally unacceptable racial and religious targeted violence and civil disorder that has taken place across our towns and cities in recent days. We recognise the profound impact this is having on members of the public and dental professionals.

“It is clear that these disgraceful acts are having a significant impact on many members of the dental team, whether

they are delivering dental services in NHS, private or community settings, especially those from religious groups or minority ethnic or non-UK backgrounds.

“A significant and increasing number of dental professionals on our registers have qualified abroad or are from black, Asian and minority ethnic backgrounds. We are grateful for the invaluable contribution they make in delivering dental services to millions of patients every year.

“Respecting people and treating them without prejudice is core to working in a regulated profession. Dental professionals should not have to tolerate racism, discrimination or abuse whether from colleagues, patients or wider community groups. We are committed to challenging and addressing any discrimination raised with us.

“Everyone has the right to come to work without fear of racism or prejudice about their religious beliefs and it is wholly unacceptable that anyone should feel vulnerable or unsafe at work or at home. We should all do what we can to support each other where we can.

“We are also aware of the emotional impact these events are having on our own staff and are offering support to those who need it.”

Miranda Steeples recounts her time in Seoul, page

A welcome from the editor

The summer has come and gone, kids embark on a new school year, and the shops are decked out with Halloween (and, dare I say it, Christmas) gear.

It was an eventful summer, with the Olympics captivating as always while a new government has been doing its best to implement change from the outset.

In the world of dentistry, there’s been plenty happening – and on a global basis at that. In this issue you’ll find news of ODL Dental Clinic’s recent mission to the Venezuelan Amazon on page 54, as well as Miranda Steeples’s report of ISDH in Seoul on page 48.

We bring you plenty from back home, too, including this month’s spotlight piece looking into Christie & Co’s annual Dental Market Review. And we continue to look forward, with the possibilities that AI brings (page 14), a variety of case studies (pages 40-44), and alternatives to amalgam (page 56). As always, enjoy the magazine.

The Probe is published by Purple Media Solutions.

Registered in England.

Registered number 5949065

Managing Editor: James Cooke

Commercial Director: Gary Henson

Divisional Administrator: Francesca Smith

Production Designer 1 : Lorna Reekie

Production Designer 2: Rob Tremain

Digital Content Manager: Stephen Wadey

Circulation Manager: Andy Kirk

Managing Director: Ed Hunt

Regular Contributors: Lisa Bainham, Nigel Carter, Barry Cockcroft, Ollie Jupes and Pam Swain

E-mail news, stories or opinion to james.cooke@purplems.com

Circulation/Subscriptions: The Probe Subscriptions, Perception SaS, PO Box 304, Uckfield, East Sussex, TN22 9EZ, Tel: 01825 701520, https://purplems.my-subs.co.uk ©Purple

Media Solutions Ltd, 2014. All rights reserved. ISSN 0032-9185. The publisher’s written consent must be obtained before any part of this publication may be reproduced in any form whatsoever, including photocopies, and information retrieval systems. While every effort has been made to ensure that the information in this publication is correct and accurate, the publisher cannot accept

liability for any consequential loss or damage, however caused, arising as a result of using information printed in this magazine. The views expressed in The Probe are not necessarily the views of the magazine, nor of Purple Media Solutions

Editorial Advisory Board: Dr Barry Oulton, B.Ch.D. DPDS MNLP; Dr Graham Barnby, BDS, DGDP RCS; Dr Ewa Rozwadowska, BDS; Dr Yogi Savania BChD, MFGDP; Dr Ashok Sethi, BDS, DGDP (UK), MGDS RCS; Dr Paroo Mistry BDS MFDS MSc MOrth FDS (orth); Dr Tim Sunnucks, BDS DRDP; Dr Jason Burns, BDS, LDS, DGDP (UK), DFO, MSc; Prof Phillip Dowell, BDS, MScD, DGDP RCS, FICD; Dr Nigel Taylor MDSc, BDS, FDS RCS(Eng), M’Orth RCS(Eng), D’Orth RCS(Eng); Mark Wright BDS(Lon), DGDP RCS(UK), Dip Imp Dent.RCS (Eng) Adv. Cert, FICD; Dr Yasminder Virdee BDS. Readers who fall

Dr Miguel Stanley Adjunct Professor University of Pennsylvania
Dr Kevin Huynh Reconstructive Dentist
Chris Mayor Commercial Director
Sally Simpson Dental therapist and former BSDHT President
John Maloney Director/Country Manager
Dr Yvonne Shaw Dental Underwriting Policy Lead at Dental Protection
Lianne Scott-Munden
Martyn Bradshaw

Calls for significant NHS dental contract reform to prioritise prevention

Anew report from the College of General Dentistry, with support from Haleon, a world-leading consumer health company and one of the world’s largest providers of specialist oral health products including Sensodyne and Corsodyl, uncovers oral health professionals’ recommendations on how to best improve the provision of preventative oral healthcare*.

Capturing insights from oral health professionals across the UK in focus groups, the latest report developed by the College of General Dentistry and Haleon, offers insight-driven recommendations on how to tackle the gap between the intentions of oral health professionals to provide preventative oral healthcare, and the practical delivery of this care.

The research found that oral health professionals seek redesigned NHS contracts to allow for more time and financial support in giving preventative oral care advice. It also calls for more resources to provide consistent and straightforward nationwide preventative oral healthcare education, to improve knowledge about healthy oral health habits, while tackling misinformation from sources such as social media.

Some of the other solutions include:

• Working with Government to support updating the Delivering Better Oral Health Toolkit to be simpler and more user-friendly

• A national communications campaign to tackle misinformation surrounding oral care

• Utilising digital communications streams such as Apps and video streaming platforms

• Supporting the curation of a Government consumer facing Delivering Better Oral Health toolkit, providing insight-led recommendations

• Encouraging businesses to ensure dental cover is included in their employee assistance programmes

• Supporting professional development with the provisions of preventative care focused continuous professional development (CPD)

• Celebrating professionals such as Dental Hygienists through the mainstream media

• Working with non-dental health professionals such as health visitors and midwives to inform them of the benefits of preventative oral care

Bas Vorsteveld, Vice President and General Manager Great Britain and Ireland, Haleon, commented: “With a new Prime Minister in 10 Downing Street, our findings could not come at a more pivotal time for the future of dentistry in the UK.

Working alongside the College of General Dentistry, we outline the key opportunities, our jointly developed solutions to safeguard the future of preventative oral care provisions for UK consumers and oral health professionals alike.

“We welcome the new Labour government’s plan to rescue the UK’s dental sector, but we urge them to go further and make NHS contracts fit for purpose by prioritising prevention. Only by working alongside the profession and industry can the new government make the step-change that UK dentistry clearly needs.”

The report also highlighted wider societal barriers to improving preventative oral care,

such as competing narratives around oral health, diet and appearance from social media; the erosion of long-term patient relationships; a continuing professional skew in some dental practices towards clinical treatments and a tendency in the wider health care community to leave simple oral health advice messages to the professionals.

Roshni Karia, President at the College of General Dentistry, said: “Our focus groups found that many dentists may feel that they are conducting a lonely battle against entrenched patient habits around oral health care and doing so within NHS contracts, which are unfavourable to providing adequate preventative advice. Our work with Haleon highlights the need to take action to support oral health professionals in a real time of need.”

The Dental Health Barometer was first launched in November 2023 and began with a survey of 2,000 UK consumers and 505 dental professionals and consumers. The survey highlighted that while 87% of dental professionals believed that preventative action on oral care is beneficial for patients and 49% of consumers agreed, both audiences saw a great deal of room for improvement in delivering it.

As a global consumer health company, Haleon is dedicated to delivering better health with humanity, including through impactful collaborations. Haleon and the College of General Dentistry remain committed to exploring the solutions and working with stakeholders to ensure preventative oral care is provided across the UK. n

Dentists’ Provident supports Income Protection Awareness Week

As a leading income protection provider for the dental profession, Dentists’ Provident is supporting the annual Income Protection Awareness Week (IPAW) running from 23-27 September 2024.

Last year new income protection plan sales in the UK increased by 10% with people continuing to evaluate the importance of having income protection insurance especially post-pandemic.

It’s the fourth year the Income Protection Task Force (IPTF) are running the annual awareness campaign to continue to highlight the importance of people being insured against the risk of not being able to work after becoming ill or getting injured.

“Income protection plans are typically thought about at significant life milestones such as taking out a mortgage or starting a family, but a change to a person’s job is equally important. Within the dental profession, we are seeing more people making the move to private dentistry which means losing the safety net of their NHS sickness pay. Combined with this, many are re-evaluating their cover post pandemic and their perception that sickness and accidents only happen to others,” says Kirby Mardle, Chief Finance Officer at Dentists’ Provident.

“Having helped dental professionals achieve financial security during periods of illness and injury for over 100 years, we know all too well the safety net income protection can give individuals. It helps you maintain your lifestyle without depleting your savings, relying on your family or the welfare state for financial support, as it will provide you with a regular payment to help replace the income you lose. We are proud to continue to be working with the IPTF in raising awareness of the importance of income protection.”

NEWS BITES

BADn adds to panel of representatives

The British Association of Dental Nurses (BADN) has announced two new additions to its Panel of Representatives: Brittany Pittman RDN and Sally Khawaja RDN MA BSc Hons Dip Ed.

Brittany joins the panel amid a remarkable career in dentistry, from Clinical Management to specialisations in Dental Radiography and Implant Nursing. Her dedication to compliance and patient care, coupled with her active role as a CQC-registered manager and BADN member, makes her a fantastic asset to the Panel.

Sally brings to the Panel a wealth of experience from her roles in special care dentistry and dental psychology, as well as her leadership in dental education and training. As the Freedom to Speak Up Guardian at King’s College Hospital, she is committed to fostering a culture of speaking up and civility in healthcare.

UK registered dental care professionals increase

The IPTF’s members are businesses from across the financial services industry, involved in income protection insurance in the UK. Dentists’ Provident, along with more than 30 other businesses from across the insurance industry, are supporting the IPTF’s mission to raise awareness of the value of income protection through the campaign. The campaign kickstarted in June with ‘100 days to go’ and it’s #LetsTalkIP social campaign leading up to Income Protection Awareness Week.

Andrew Wibberley, co-chair of the IPTF said: “Getting your income protected as soon as possible is incredibly important for your future. In this year's Income Protection Awareness Week, we'll keep spreading the message that the risk of needing to take time off work for health related reasons is significant, and the ability to protect yourself against the financial consequences of this, is simple and vital to any financial plan.”

The awareness week covers various topics every day around the importance of income protection mainly targeted at financial and specialist advisors. You can find out more or sign up here: https://iptf. co.uk/ipaw2024/

To find out more about Dentists’ Provident visit www.dentistsprovident.co.uk n

The General Dental Council has reported the number of dental care professionals (DCPs) on the UK Register, following the recent annual renewal period, has increased again, compared with the trajectory of previous years. On the morning after removals there were 75,905 DCPs on the Register, an increase of 4,101 (5.7%) on the equivalent figure for 2023. This year, 3,236 DCPs did not renew their registration, which is 4.3% of those who had renewed their registration by 31 July. This compares to an average of 6.1% over the previous four years. n

Planmeca Imprex wins Red Dot Award

The Planmeca Imprex™ mobile scanning station has been awarded with a Red Dot in this year’s Red Dot Award: Product Design competition. The scanning station streamlines capturing digital impressions and visualising treatment data for patients. n

{my}dentist launches new people values

mydentist has launched a new set of people values, based on feedback from colleagues across the organisation, which will be rolled out across its 530+ practices. The new values – ‘we respect each other,’ ‘we grow together’, and ‘we achieve as one’ – have been brought to life through a new video which focuses on the people across mydentist who helped develop the values and who live them every day. n

Brittany Pittman Sally Khawaja

EthOss® is a 100% synthetic bone graft material for dental implant surgery. With no risk of cross-contamination, EthOss® works with the body’s healing process by creating a calciumrich environment and is completely absorbed.

“There’s a lot of it about”
(Room for improvement at the CQC)

the

Early in the spring, I noticed a red patch on my face, about a centimetre or so from the lateral border of my right eye. The doctors at the GP practice I attend would still rather not see any patients face-toface if possible, so I filled in an online request form asking for – at the very least – a telephone call from a doctor. I would have been happier with this AND a remote prescription rather than the faceto-face appointment I was offered after the practice reviewed my outline and the photograph of my presenting complaint.

The background is that, during the pandemic, I developed a rapidly growing lesion on the same side of my face. After seeing a young and efficient locum GP, she diagnosed actinic keratosis and gave me a prescription for 5-fluorouracil cream, which superefficiently batted the lesion into touch. Having referred a few patients back to their GPs with similar facial lesions over the years, I was pretty smug when I learned that my suspicion about my own blemish had been accurate. Also, it wasn’t such a surprising diagnosis since I experienced several episodes of sunburn as a child in the 1960s. In those days, the ‘sun cream’ my mother applied seemed to be no more effective than lard. When I submitted the history of my most recent blemish online, explaining that it followed EXACTLY the same developmental course as the last one, I was surprised to be called in to see one of the few permanent GPs at the practice. I really should have told the doctor specifically that I suspected I had actinic keratosis again, but I doubt it would have dissuaded him from referring me for a biopsy, such was his determination to put me through surgery. Long story short, I was referred to a MaxFax department in another town and saw a cosmetic surgeon. After a lengthy discussion regarding whether the surgeon should completely excise the lesion (it was a large area) or do an incisional biopsy, I insisted on the incisional. The surgeon said, “I’d have gone for that as well.” A month later, the pathology report came back. It WAS actinic keratosis. I was given cream. Tomorrow morning (as of writing), I have to get on to the practice again because I am two months on from having had a chest CT scan after suffering a persistent cough for four years, since my first dose of SARS-CoV-2 in December 2019, weeks before the ‘mystery illness’ affecting Wuhan was identified. Since the spring of 2020, the practice has been treating me for asthma, despite my insistence that I have never had anything approaching an asthma attack or difficulty in breathing, other than during a prolonged coughing fit.

Not only have I not heard the results of the CT scan, but I also haven’t had any follow up. The GP who requested the scan said that, irrespective of the results, he would refer me to a specialist – either a respiratory specialist or one dealing with long Covid. A few months ago, I was supposed to have a full blood count taken at my annual diabetes review. A few days later, I was told in a message from the reception staff that the blood sample taken ‘has been rejected and has to be retaken’. When I spoke to the GP later about the retest, he said – unaware of what reception had told me - “Oh yes. The blood test hadn’t been requested, so we need to do one.” At that same appointment, the GP agreed with me, after a peak flow test, that I don’t have asthma.

I’ll also briefly mention that a couple of years ago – because I had been diligently controlling my blood sugars and my HbA1c blood test had indicated I was effectively pre-diabetic – a nurse practitioner decided that I no longer needed to be on insulin. This was despite having been diagnosed some years ago with Latent Autoimmune Diabetes. I had a two-week long battle with the practice to get my insulin back, hitting the highest glucose values I had ever seen before the drug was reinstated. “It’ll settle down,” was one reassurance I received during a protest. It was only because I had found a couple of half-empty insulin syringes that I survived.

When my late wife was in the final stages of pancreatic cancer in 1994, she woke one Saturday morning in severe abdominal pain with marked swelling. I rang the surgery and a GP – the senior partner - agreed to see my wife. My wife came out of the surgery with a diagnosis of – and I kid you not – “Wind.”

I somehow managed to keep my cool and immediately rang the oncology unit at the Queen Elizabeth Hospital in Birmingham, explaining that I thought my wife had ascites and it needed draining. She was admitted immediately and a drain was inserted. I confess that I did ring the doctor later and laid into him. No apology from the GP for his unforgivable misdiagnosis. He said, “Look, it’s obvious she’s dying, I was just trying to give her some reassurance.” That GP has only relatively recently retired from his role as senior partner in the practice.

I’m not the only patient to ever whinge about the practice. It has an awful reputation locally for its failure to act sympathetically or promptly to the medical concerns of its patients. The surgery consistently has dreadful reviews and it’s rare for me to go to the pharmacy and not hear someone

complaining about the surgery’s failure to send through a repeat prescription, despite the ubiquitous use of the NHS App. The only reason my family is still with that practice is because there is literally nowhere else to go that has capacity.

Now, would it surprise you to hear that this practice had been given a ‘Good’ rating by the Care Quality Commission in 2017?

That rating, and the fact that the surgery hasn’t been inspected by the CQC for seven years, should surely raise concerns… although should it, bearing in mind that the CQC has in the past few weeks been branded “Not fit for purpose” by Health Secretary Wes Streeting.

Mr Streeting’s comment came after the publication of an interim report by Dr Penny Dash, requested by the Government into the CQC, revealed that just 7,000 inspections and assessments were carried out in 2023 to 2024, compared to more than 16,000 inspections conducted in 2019 to 2020.

Alarmingly, the report highlights that the CQC needs to “set out clear definitions of what ‘outstanding,’ ‘good,’ ‘requires improvement,’ and ‘inadequate’ looks like for each evidence category” in its Single Assessment Framework (SAF).

Dentistry didn’t get a special mention in the report, but it did note that: “The current executive team is largely drawn from the social care sector with a noticeable lack of healthcare experience. Given CQC’s remit is across both the social care and healthcare sectors, the executive team would be

expected to reflect that balance. The healthcare leadership team consists of a mental health nurse, a pharmacist and an NHS manager.”

It does make you wonder how many dental practices are getting the ‘goods’ based purely on whether they have the right paperwork for their clinical waste collections, rather than on their delivery of quality care.

When the CQC first came on the scene in dentistry, I confess, I did applaud. It at least would mean that practitioners would no longer get away with slipshod or scant regard to guidelines and regulations, but I quickly realised that a purely paperwork inspection by people who had no experience in dentistry was a pointless exercise if the main intention was to actually improve care.

It’s my belief that the decision to eradicate regular checks on patients by the Regional Dental Officer (RDO) was a huge mistake that almost inevitably led to a rise in poor treatment, which largely escaped scrutiny until the emergence and exponential rise of the new breed of dental litigation lawyers. A ‘good’ management paperwork stamp by the CQC does little to ensure that you have managed your perio patient well. Must go. I need to put on some cream. n

About the author ollie Jupes is the pseudonym of a former nHs dentist. He monitors dentistry on twitter X as @DentistGoneBadd

Does a plan to train more dentists make sense now?

The current financial situation might drive the new government in the right direction

The next few years are going to be critical for all the dental professions – and possibly the BDA. Every time I see a BDA spokesperson talking in the media about the current difficulties afflicting patients trying to access NHS dental services, they say they want to see significant contract reform and a greater focus on prevention. What is never mentioned in these interviews is that evidence-based prevention is included in what should be provided in a band 1 course of NHS treatment. Although, there are some difficult challenges around maintaining patient charge revenue if charges are not related to treatments. Currently, patient charges account for around one billion pounds of the dental budget, and finding that somewhere else will be an issue.

One of the principles of wider NHS reform, which is certainly coming once new people have got to grips with the issues, will be that preventable conditions should be prevented. Indeed we now have a minister with a specific mention of prevention in his job title. This looks like an important development going forward and further progress with water fluoridation would be a sign of serious intent.

Following on from the publication of Delivering Better Oral Health in 2007, we now have clear guidance on what evidence-based prevention in primary care really is: the provision of diet and lifestyle advice, the application of fluoride varnish to the teeth of all children, the provision of fissure

sealants where there is clear evidence of risk, advice relating to correct tooth brushing, and regular check-ups and treatment if necessary by a regulated dental health care professional. It may not have escaped notice that none of these preventive measures requires the input of a dentist and all of this, along with the majority of routine interventions, could be provided by other members of the dental team.

This commonality of skills has already been recognised by some of the dental schools looking to develop common initial training pathways for dentists and dental therapists.

Calling for “major reform” has many associated risks. Practices that currently hold an NHS contract have a guaranteed contract value within an open-ended contract term, which, under current legislation, cannot be terminated unilaterally unless there are repeated breaches – although the NHS did seem to be trying its hardest in some cases to challenge this under the previous administration and workforce shortages are making it difficult for some providers to meet the terms of their contracts. I can think of no other group in the independent contractor sector that has this protection. Major reform, involving changes to primary legislation (which is what would be required) backed up by a Parliament where government has a substantial majority, could put much of this at risk. One of the conditions the BDA placed upon being members of the “new contract steering group” in the lead up to the

introduction of local commissioning in 2006 was that dentists received the same remuneration for the same (or slightly less as it turned out) amount of service provision, and devising a way to measure that service will be challenging, especially with a more diverse workforce.

As a slight aside, issues with the current NHS contract in England would not explain the access issues occurring in a similar way in Scotland or Northern Ireland, where there are different contractual arrangements, or indeed in The Republic of Ireland where most care is delivered in the private sector.

Workforce is the issue.

Data from the GDC shows that working patterns of dentists have changed significantly over the years and the costs to the NHS involved in training dentists, many of whom are now more interested in non-health related care outside the scope of the NHS, will likely come under scrutiny. Along with this, the prevalence of dental caries has reduced over the years, so a significant majority of the population is already disease free and, in many areas, treatment of failed previous treatment is now more common than treatment of new disease.

All this has potentially disastrous implications for the BDA. At the moment, only dentists can be members of the association and a reduction in dentist training numbers would be a massive problem for them. The College of General Dentistry has already recognised this as a serious issue and Dental Care Professionals have a

Scleroderma and oral health

As we know, there are many medical conditions that can have a detrimental effect not only on our patient’s oral health, but also on our ability to provide comprehensive dental treatment. One of these conditions is called scleroderma.

Scleroderma is a rare condition that affects around 19,000 people in the UK. It occurs when the body produces too much collagen, causing the skin and other tissues to harden and become less flexible. Collagen is found in connective tissues like cartilage, bones, tendons, ligaments, and skin. Scleroderma is an auto-immune condition, which means that the body is attacking itself. Whilst there is currently no cure for scleroderma, there are medications to reduce several of the symptoms, including drugs to:

• Dilate blood vessels

• Supress the immune system

• Reduce stomach acid

• Prevent infections

• Relieve pain

In some case, physiotherapy can help, too.

Scleroderma can negatively impact oral health by making it difficult to brush and clean between teeth. Reaching the back of

the mouth with a regular toothbrush can be challenging. Using a toothbrush with a long, slim neck or an electric toothbrush is often recommended, especially if the patient has trouble opening their mouth wide enough. Often, scleroderma can be linked with dry mouth, where the salivary glands do not produce enough saliva to protect teeth and gums, so prescribing a high fluoride toothpaste can help to reduce the risk of caries. Acid reflux is also common in scleroderma patients and can lead to enamel erosion.

If you suspect a patient may have undiagnosed scleroderma, it is advisable to refer them to their GP for further evaluation and diagnosis. Early detection and management are essential to prevent complications and improve the patient’s quality of life.

There are two main types of scleroderma that can affect your patients, making it more difficult for them to take care of their oral health.

Localised scleroderma is the name given to scleroderma that usually affects localised areas of the body. It can appear as patches of hardened skin that look smooth and shiny, often on the main part of the body (the torso) but could be on the leg or arm.

Children can get a form of localised scleroderma that affects the scalp or temples, face and tongue. This condition can range from being painless or cosmetic to affecting the growth of bones in children.

Systemic scleroderma is the more serious type of scleroderma, known as SSc. This type of scleroderma also affects the internal organs and the skin. This can include the:

• Heart

• Oesophagus

• Blood vessels

• Kidneys

• Lungs

• Digestive system

• Mouth and teeth

This type of scleroderma is more likely to impact a patient’s oral health throughout their life.

Like others with problems that reduce the ability to open the mouth, there are a few ways that the oral health team can help.

Oral hygiene instruction to show the effective use of a toothbrush that has a long neck and a small head, or an electric toothbrush will make cleaning at home easier.

Demonstrate the use of an interdental brush with a long handle that will allow the patient to reach to clean in-between all

significant presence in that organisation – surely that is the way forward. There is, of course, at least one area where there will be a need for growth in the dentist workforce. At the moment there is a continuing enthusiasm for the provision of complex, sometimes purely cosmetic, restorations, many of which will ultimately fail, require maintenance, removal or repair, and which have largely been provided in the private sector. In a similar scenario to that which followed on from the PIP scandal involving the placement of defective breast implants, the clinicians who placed them will often be nowhere to be found when things go wrong and the burden will again fall on the NHS and dentists with expertise in this area. Caring for the older dentate population, whether they have complex restorations or not, is an area with a growing future need. I recently saw a posting on LinkedIn from a periodontologist complaining about a “tsunami of peri-implantitis”. This was already becoming an issue while I was still CDO, and that was more than nine years ago. I suspect that those who make a living out of our now much more litigious environment will already be looking at this. n

About the author Dr Barry Cockcroft CBe is the former Chief Dental officer for england and current chair of the British Fluoridation society.

their teeth. When it comes to interdental cleaning, they will usually find that an interdental brush will allow the best access and provide the best results.

Reduced mouth opening is caused by tightening of the skin around the mouth. Sometimes, facial exercises can help to improve the mouth opening. These exercises should be carried out once or twice a day and should only take five-10 minutes.

Treating a patient with scleroderma may require patience and time. Short, regular appointments might be more comfortable for both the patient and the dental team than longer or double appointments. If you would like to learn more about this condition, the charity Scleroderma & Raynaud’s UK has created a factsheet called Oral and Dental Aspects of Scleroderma, which is available on their website: www.sruk.co.uk.n

About the author Karen Coates, oral Health Content specialist at the oral Health Foundation, and RDn

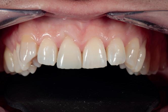
Root resorption claims: risk factors in child orthodontic patients

Root resorption is a recognised risk associated with orthodontic treatment, with potentially significant long-term consequences for the patient. It is, therefore, not surprising that a proportion of the higher value orthodontic claims we deal with at Dental Protection will involve root resorption.

Our philosophy is to support safer practice in dentistry and to help members avoid problems arising in their professional practice. One of the many ways we look to support members in reducing risk is by sharing insights from our cases and claims, to help understand how problems may arise and, most importantly, how they can be prevented in the first place.

A review of claims, relating to orthodontic treatment in patients aged under 18 at the start of treatment, identified that approximately 10% had allegations relating to root resorption. Factors noted in the cases, which may have placed the patient at a higher risk of root resorption included ectopic/ unerupted canines, history of trauma prior to commencing treatment, and root shape.

It is important that, where there is a risk of root resorption, this is communicated to patients as part of the consent process. We have seen that alleged failings in the consent process were a dominant factor in over 50% of the claims reviewed. Predisposing factors that increased the risk of root resorption were present in many of the cases we supported. In this situation, it is important for clinical records to demonstrate that:

• The increased risk had been identified.

• The specific risks that a particular patient faced had been discussed and understood by the patient.

• The treatment plan proposed was appropriate.

• Alternative ‘lower risk’ alternatives had been considered and communicated to the patient.

• Appropriate monitoring of teeth was undertaken during treatment. Experts will invariably opine on the above and these are the points on which claims involving root resorption may succeed or fail. Where predisposing factors are present, and the records only provide evidence that a patient had been provided with generic information about the risks, it is unlikely the warnings will be found to be sufficient to demonstrate that consent to treatment was valid. Where a patient is successful in their claim, damages can be significant. For a young patient, tooth loss may result in damages to cover a lifetime

of implant placement and restoration cycles, as well as reflecting the psychological impact.

Secondary factors in root resorption claims include allegations relating to inadequate monitoring, prolonged treatment and poor outcome. In around a third of the cases in our previous study where predisposing factors were noted, secondary allegations were made that there had been inadequate monitoring of the teeth during active treatment. When considering these allegations, experts will comment on whether monitoring was in line with any recognised guidance and teaching. Where there is a lack of consensus, the case will be assessed on whether the approach taken was reasonable at that time.

For those treating patients with a known history of trauma, guidance such as that by Sandler et al (2021) 1 would be of relevance and may be relied upon by experts.

Orthodontic treatment is not without risk, and for some patients the risks of treatment may outweigh the benefits. Ultimately, the decision on whether to proceed with orthodontic treatment rests with the patient, who must make this choice based upon balanced and objective information that has been shared by the treating clinician to help a patient understand the risks.

Identifying that significant root resorption has arisen is not only distressing for the patient but also generates significant anxiety for the clinician who has treated the patient. It is, however, important to remember that this finding will

not necessarily result in a patient making a complaint or claim and they are less likely to do so if they had understood and accepted the risk of this arising at the outset. Similarly, being the subject of a claim does not mean that the claim will need to be settled. In most of the cases we see, successful defence of a claim may depend upon the details within the records to support that consent was valid and clinical treatment was appropriate. As a general guide, the following checklist may help in the defence of a claim but, perhaps more importantly, avoid a patient going down this route in the first place:

• Ensure any orthodontic assessment routinely includes an assessment of any potential risk factors for root resorption and documents both positive and negative findings.

• Where the assessment identifies a patient may be at a higher risk of root resorption, ensure that the records reflect the specific risk that patient faces and whether alternative treatment options, including no treatment at all, were discussed. Where risks are increased, ensure that any written information provided to the patient is tailored to reflect the identified increased risk.

• If it is proposed to monitor root health during treatment with radiographs, ensure that a clear note is made in the records as part of the treatment plan as to when any radiographs should be taken. This is particularly important in settings where a patient may be

seen by multiple clinicians or where care is being transferred.

• In the event root resorption is identified, it is important to be open and honest with patients and ensure that not only is the presence of the root resorption discussed but also what steps may be necessary to mitigate any further exacerbation of the problem. Before continuing with further treatment, the consent process should be revisited, and records updated to reflect the discussions and options discussed.

• In the event teeth are subject to trauma after treatment has commenced, ensure any assessment and ongoing treatment reflects contemporary guidance and teaching. It is important to also revisit the consent process, to ensure the patient is involved in any further decision making, and aware of the risks and alternative options. n

References

1. Guidelines for the orthodontic management of the traumatised tooth. Cara Sandler, Tumadher Al-Musfir, Siobhan Barry, Mandeep Singh Duggal, Susan Kindelan, Jay Kindelan, Simon Littlewood, Hani Nazzal J Orthod. 2021 Mar;48(1):74-81

About the author

A new edge to dental recruitment

There are a number of challenges facing dentistry businesses at the moment when it comes to recruitment, but foremost among them is the high demand vs. low supply with a shortage of qualified or specialist dental professionals, including dentists, hygienists and assistants. This imbalance makes it difficult to fill positions, particularly in rural or underserved areas. The tech skills gap that exists is adding to the problem, with a significant gap between the skills required in modern dental practices and those possessed by many job candidates. Retaining staff is a further challenge, due to high stress, long hours, and the demand for competitive salaries, which can lead to frequent turnover and the need for continuous recruitment.

How can ai provide a solution?

An end-to-end AI-driven recruitment process can address several recruitment challenges in dentistry, starting with the search for candidates, through to supporting the interview process and with improved retention. It can vastly reduce the time it takes to find and onboard staff. It can also allow for more precise targeting of applications and a fairer, unbiased process. When it comes to hunting for the right people to fill roles, recruiters can use AI-driven platforms to optimise and broaden the search. AI can analyse job descriptions and match them with candidates’ CVs accurately and

quickly, ensuring better alignment between the skills required and those offered. It can automate the initial screening process, quickly identifying the most qualified candidates based on predefined criteria, saving time and reducing human bias.

It crucially allows businesses to expand their reach globally, meaning that it becomes easier to find employees with the skills that you are looking for. AI-based platforms can screen greater numbers of candidates and reach potential employees in locations that would not previously have been considered.

By analysing vast amounts of data, AI can predict which candidates are likely to succeed and stay long-term. AI can also identify skill gaps and recommend tailored training programmes, ensuring that new hires are appropriately supported, which is also likely to help improve retention rates. Even if you use AI to automate just one aspect of your recruitment process, it will impart significant time and cost savings. From there, you can look at other ways it can improve the administration of your practice.

are there any real-world examples of ai-driven hiring success stories?

For us, AI was always the plan when we started, before the world heard of ChatGPT. Our first hire was our CTO, who has a PhD in AI and ML (Machine Learning). We were thinking about AI in a couple of different

ways. One, how to make the business processes more efficient, including using AI to match talent with the perfect employer and, two, more interestingly, because of our narrowness in the categories we work in, how can we give all the talent hired through our platform tools to make them 30-50% more efficient in their jobs. So, when customers hire from our platform, not only is it the easiest hire ever, but it’s also the best hire ever.

What are the challenges that come with integrating ai into the traditional dentistry hiring processes and how can these be overcome?

The beauty of gen AI in its current form is that it is open to every business – no matter their size. However, doing generative (gen) AI well does require some training, as the more you know about it the better equipped you are to spot errors and optimise your results. Luckily, a lot of this search engineering training is free online.

Recruiters need to use gen AI carefully – it is worth remembering that gen AI is far from infallible and, crucially, that it cannot replace the human experience. It should simply be a tool to optimise business functions and improve communication. AI systems can perpetuate existing biases if not properly designed and should not be used without safeguards. Ensuring fairness requires continuous monitoring and updating of AI models to eliminate bias. It’s imperative that robots aren’t cutting out top candidates at the first stage.

What does the future of hiring in dentistry look like?

The future of hiring in dentistry is likely to be increasingly influenced by technology and AI. We can expect to see more personalised recruitment, with candidates matched not just on skills but on cultural fit and career aspirations, as well as more proactive talent sourcing with the ability to reach out to a far wider base of qualified candidates in locations all over the world. We can expect to see recruitment strategies that increasingly rely on data analytics to make informed decisions, predict hiring needs, and measure the effectiveness of recruitment campaigns. By embracing these advancements, the dentistry field can overcome current recruitment challenges and build a more skilled, satisfied, and stable workforce. https://onedge.co/ n

The landscape of AI use in medical devices

The UK’s new Minister for Science, Innovation and Technology, Peter Kyle, has taken a progressive approach to artificial intelligence (AI) technology, aiming to integrate AI into government operations and encourage its use in civil servants’ frontline work. This points to the potential for innovation in this area for the UK. However, this comes with a warning from some to recognise the differences between narrow AI and artificial general intelligence (AGI). Narrow AI can be incredibly helpful in supporting peoples work, particularly as we are seeing in the dental profession, however AGI may be unpredictable, and its use should be carefully regulated, monitored, and controlled.

All clinicians will be aware of the importance of skilled humans in monitoring patients, making diagnoses, and planning treatment – and especially when communicating with patients on a personal level. However, there are a number of ways AI technology can offer valuable assistance in the dental profession, supporting decision making and treatment planning. It’s important to consider the ways this might influence the future of dentistry, and how regulations might have an impact.

regulating ai in healthcare settings AI is still relatively new, including in the world of dentistry, and it is evolving rapidly. Projections suggest that AI could contribute

$15.7 trillion to the global economy in 2030, in part coming from increased productivity, as well as consumption side effects. Because it offers such a wide range of potential benefits, it’s important that governments around the world consider ways to embrace AI, whilst also regulating its use to help keep everybody safe – including patients in a dental setting.

The medical device regulator for UK health and social care – the Medicines and Healthcare products Regulatory Agency (MHRA) – has an important role in keeping patients safe. As such, the MHRA is currently reforming regulations surrounding medical devices. These reforms include Artificial Intelligence as a Medical Device (AIaMD) products.

The regulatory agency acknowledges the increase in innovative devices entering the UK market, particularly AI devices and software in the healthcare sector. They also recognise the potential impact that they have to revolutionise the healthcare landscape, using cutting edge research to improve the ways patient needs are addressed. However, the MHRA also

notes that this brings new challenges, and potential risks and safety concerns.

Ultimately, the MHRA hopes to strike a balance to protect patient safety and respond to challenges presented by new technology, without creating barriers for innovation.

What is the ai airlock?

As such, the MHRA is undertaking a new project: the AI Airlock. The regulatory sandbox is a world-leader in healthcare, designed to facilitate the safe development and distribution of AIaMDs. Robust processes involved in this project will help to ensure that manufacturers can undertake what is required for their devices to be viable in the real world. A secure partnership between government, regulators, and industry will help to influence future guidance relating to AIaMDs. The collaborative approach promises to enhance collective understanding and produce solutions to new challenges more quickly.

innovations in dentistry

Whilst it is important to understand the broader landscape of AI and technology innovations, particularly within healthcare, it is also crucial to understand the current conversations specific to AI dentistry. For example, dental patients generally have a positive attitude towards the use of AI. 60.8% of patients expect improved diagnostic confidence, whilst 48.3% anticipate time reduction, and 43%

envisage more personalised and evidencebased disease management as a result of AI use. Clinicians should consider their patients’ attitudes to new technologies which use AI when upgrading their workflows, particularly where it inspires confidence in their patients. It can also be helpful to explain to patients how new equipment works, to get them involved in their care and boost treatment acceptance.

Dental practitioners should also consider the positive impacts that dental AI can have on their own workflows, and those of their team. For example, AI is already assisting dental professionals with clinical record keeping, diagnostic image analysis, and as an adjunct in clinical decision-making. With more research and development being undertaken every day, the future of digital dentistry, and the particular evolution of AI, is bright. It is important to stay up to date of the latest in AI dental tools, and carefully consider where is best to implement these in your own practice.

https://mimetrik.co.uk n

about the author alyn Morgan is the immediate past president of the British endodontic Society, and the co-founder and ceO of a spin-out company from the University of leeds, Mimetrik Solutions.

3M Health Care is now Solventum

For over 70 years, you’ve trusted 3M for breakthrough solutions to your toughest healthcare challenges. Now, we’re carrying that legacy of listening and innovating forward with our new independent healthcare company, Solventum.

Beautiful, healthy smiles: That’s our focus as we partner with oral care providers to improve patient outcomes and transform practices.

Because, we never stop solving for you.

70+ years of innovation creating breakthrough solutions

Solventum Charnwood Campus, Bakewell Road Loughborough, LE11 5TH, United Kingdom

Diverse por tfolio of strong, trusted, reputable brands

Solventum 3M Healthcare Ireland Ltd. 2 Cumberland Place, Fenian Street, Dublin 2, D02 H0V5, Ireland

Innovating at the intersection of health, material and data science

Making the most of your equipment engineer visit

It has been established that on-going maintenance, servicing and validation are integral to the long-term functionality of a dental autoclave. In turn, this benefits the team by optimising workflow efficiency and supporting excellent patient care every single day. Practice staff and external technicians share the responsibility for keeping equipment in top shape, and they must work together for the best results. As such, it is important for dental professionals to understand what their engineer does during a practice visit and how they can get the very most from this time.

a

technical check

Dental equipment engineers will cover a range of tasks depending on whether they are assessing, servicing or validating the equipment in question. A regular maintenance check involves testing the mechanical and electrical aspects of the autoclave and fixing any minor issues before they can become bigger problems. Validation requires the engineer to evaluate specific functions to ensure the correct conditions are consistently achieved in the autoclave, which include steam penetration, temperature and pressure/cycle times. Annual PSSR testing and validation is a legal requirement for all autoclaves.

Maximising the engineer’s time

When the engineer attends the practice, it’s important for practice staff to make the most of their visit. Some top tips include:

Seek user training

It’s crucial that all relevant members of the practice team have been appropriately

trained and know how to use the autoclave safely, effectively and compliantly. The engineer’s visit is the perfect time to request user training if needed for new staff or a refresh for existing staff. Leading providers will deliver this as an Enhanced CPD accredited session as great added value for professionals.

Discuss consumables

The equipment engineer will have a comprehensive knowledge of your autoclave, so they can advise on how and where to order the relevant testing devices and consumables. They will also clarify when and how these products should be used to maximise autoclave functionality and longevity.

request general decontamination guidance

If you’re looking to implement changes to your decontamination processes, or wish to move further towards best practice, your equipment engineer will be a fount of useful information. If you want to upgrade your entire infection control workflow, they will also be able to recommend the right equipment for your practice and budget.

Memory decay

Clear communication between a dentist and their patient is the foundation on which good oral healthcare can be built. Creating trust can empower both practitioner and patient to feel more confident with each appointment and treatment.

A key tenet of a dental appointment is the oral health advice given to the patient. As the dentist may recommend a checkup in several months, it is important that patients remember the recommendations and incorporate them into their oral hygiene routine, staying healthy in between appointments. In the practice, the dentist identifies potential problems, educates the patient on preventative measures and helps treat disease, but outside of the practice it is ultimately up to the patient to look after their oral health.

However, there is an alarming level of forgetfulness among patients. Concerning appointment recall, patients forget 40-80% of the information given to them. Meanwhile, patient memory retention for more technical details is also poor: in a study examining orthodontic information recollection, 70% of information conveyed could not be remembered 10 days later.

Needing a memento

There are a few things to consider to mitigate forgetfulness when providing advice and treatment recommendations. The first is

clarify manufacturer’s instructions

Using and maintaining your equipment correctly is essential for prolonging product life and optimising functionality. If you have any queries about the manufacturer’s equipment care instructions, your engineer will be more than happy to clarify and explain any of the guidelines.

Optimise validation compliance

Annual PSSR validation is a legal requirement for all autoclaves. Speak to your engineer about what the report shows and what this means so you can optimise your compliance with total confidence.

ask questions

In addition to the examples given, use the technical visit as an opportunity to ask your engineer as many questions as you can. The better you understand your equipment and the associated regulations, the smoother you can make your practice workflows.

Have someone of authority available

The validation and service report generated by the engineer will need to be signed by the registered manager of the practice, or someone of sufficient authority within the team. To ensure an efficient visit and to avoid unnecessary disruptions to the team, schedule a break from surgery for the principal or have the practice manager ready to sign for the end of the session.

put the kettle on

Few engineers will turn down a cup of tea and a biscuit before or after their equipment assessment as you chat through any questions or queries that you have!

a service you can trust

Of course, all of the above is only possible when you work with a provider with highly trained engineers that really understand your equipment and the wider needs of your practice. The expert in decontamination, Eschmann, provides all this and more as part of the coveted Care & Cover service and maintenance package available for any of their decontamination equipment. There are 50+ specifically trained engineers across the UK ready to optimise your equipment and keep your business running smoothly for years to come. What’s more, Eschmann provides both online and telephone support, meaning that you can seek information and advice at any time between engineer visits, and often fix smaller issues over the phone. It is imperative that your decontamination equipment continues to operate effectively in order to maximise safety and efficiency in your practice. Your service engineer is critical in achieving this, so be sure to make the most of the support they deliver. For more information on the highly effective and affordable range of infection control products from Eschmann, please visit www.eschmann.co.uk or call 01903 753322 n

about the author

the patient themselves; elderly patients and those who are anxious or distressed by visiting the dentist are far more likely to forget information. For the elderly, there can be a struggle to retain episodic or unstructured information due to the fading of memory. In the case of distressed or anxious patients, the central message, such as a diagnosis, becomes the primary focus. This then means the peripheral information, such as treatment options or follow-up appointments, is less likely to be processed and stored in their memory. Identifying these patients will allow practitioners to share their opinion in a more suitable, memorable way, such as in writing.

Focusing on diagnosis is common among most patients as it generates a stronger emotional response than treatment, causing general memory of medical information to be hazily recalled and inaccurate. This means that the patient’s efforts to adhere to any instructions or treatment suggestions will be massively underwhelmed, leading to a negative impact on their health.

Legal implications

In some circumstances, patient forgetfulness, or a misunderstanding with the dentist, can become a legal issue if dental negligence is claimed. Without a verifiable record of a consultation, it can be harder to prove or disprove a complaint. 89% of dentists fear being sued by patients. This worry not only impacts

the day at work, but it can also cause anxiety and stress at home too, making it harder to properly disengage from work. Across all professions, nearly four out of five UK workers regularly experience workrelated stress, so this epidemic should be combatted wherever possible.

With the threat of legal action and its damaging effect on mental health among practitioners, finding a solution to patient forgetfulness is important. The professional obligation to create records of every appointment is for consent and legal protection, whilst the updating of medical histories aids in diagnosis and treatment planning for higher quality care. But, documenting patient notes can be a rushed process if attempting them during or immediately after the appointment, and leaving the notes for later on in the day can lead to minor details being forgotten.

robo-takeover

Using artificial intelligence (AI) to record comprehensive information is the best way to make sure details are noted quickly and reliably, with a reduction in human error. This would also be a great asset legally, with complete, accurate notes about the patient’s appointment having been reliably recorded. With an AI tool assisting, the dentist or dental nurse doesn’t have to rapidly type up everything word for word. This is beneficial for the practice, as it saves time

for staff, and the patient, who can request the document to ensure they have correctly understood all the information given. It has been noted that spoken information supported by writing can be more easily remembered, so using an AI tool can be a major benefit. Kiroku is the front-runner in dental AI, offering a software that helps staff complete their notes 60% faster. Using clickable buttons that auto-populate the section being worked on and templates that can be pre-prepared by Kiroku or the practitioner, note taking has never been so simple. Focused on speed, Kiroku works on any browser with no download or installation required. Kiroku will smooth your workflows and make note taking less of a chore. Having well-documented resources for patients to read will improve their care, empowering them through education so that they are far less likely to forget what you advise. With greater legal protection and enhanced patient understanding, using AI for note taking makes life easier for all.

To find out more about Kiroku, or to start your free trial, please visit trykiroku.com n

about the author Hannah Burrow, ceO of Kiroku.

Follow the five Rs of waste management

The recycling symbol, a triangle made of three arrows that turn in on themselves, is unquestionably iconic. Designed by Gary Anderson, a then-23-year-old architecture student at the University of Southern California in 1970, the emblem is instantly recognisable and seen in many walks of life.

The three points also lent itself to the expression Reduce, Reuse, Recycle – simple to remember, and in many instances, just as easy to implement. However, the saying has rebranded to the five Rs in many circles. When selecting equipment for your practice, you could consider the following, in order of priority: “Reduce, Reuse, Reprocessed, Renewable, Recycle”.

reasoning the five rs

The NHS alone contributes to around 4% of the country’s carbon emissions – healthcare, public or private, has an impact on the environment that must be curtailed at any and all given opportunities. In dentistry, professionals have a responsibility to put patients’ interests first throughout their care, which will no doubt include the want for a safe and green approach that protects the world around them, as well as their dentition.

Health Technical Memorandum 07-01 (HTM 07-01) uses the 5 R’s to present questions that dental professionals must ask themselves when assessing sustainable procurement. Clinicians that actively consider them can take many steps towards greener dentistry.

What are the five rs?

The list begins with ‘Reduce’, prompting clinicians to ask themselves, “Is this product necessary? If so, in what amount?” In many cases, it isn’t possible to eliminate a product from your workflow without compromising the care that is provided to patients. However, if you find your practice is disposing of perishable items, like pharmaceutical products, in excess because they have surpassed their expiration date, consider reassessing the amounts you are purchasing. Pharmaceuticals contribute to an estimated 20% of NHS greenhouse gas emissions. Reducing unnecessary waste can help the environment immensely.

For ‘Reuse’, dental professionals should consider whether they can avoid single-use products. This may be difficult, but where possible should be explored. Professionals may be able to invest in items that can be decontaminated or cleaned effectively, and reintroduced safely into the dental workflow. Reusable PPE is one such example, which clinicians must ensure is laundered appropriately between each use to meet safety standards. Next, ‘Reprocessed’. This relates to the make-up of an item, and how it will be managed at the time of disposal. There are a number of items that can meet all of the necessary safety regulations, whilst being made out of material that can be used long into the future. At the end of its use,

the item may be collected by the supplier, and reprocessed into a new product, perhaps serving an entirely different purpose.

‘Renewable’ calls for clinicians to take an active step in assessing the materials that their equipment is made of. Items that are made out of renewable materials can be replenished over time, with replacements made from natural resources. HTM 07-01 references a case study in Sweden, where the use of biopolymer aprons with 91% renewable content reduced the number of disposable aprons that were discarded.

Finally, clinicians will be familiar with the responsibility of choosing to ‘Recycle’ wherever possible, and can apply this forethought when purchasing new products. Dental professionals should consult with specialist waste management teams to see where the most effective changes can be made throughout their workflow. They should look to recycle all materials possible, and all items that can’t, such as any offensive waste, should be disposed of through alternative methods such as incineration for energy recovery, which helps achieve landfill diversion targets.

changes to waste management

Clinicians will no doubt be thinking of all the potential changes they can make throughout their practice, but they should begin by looking at the items used in their own waste management streams. The containers used to store and transport your used items can have an enormous impact on the environment – they are among the top 20 items that account for more than 70% of the supply chain footprint.

Dental professionals can start making simple, but effective, changes today. Follow the 5 R’s and choose options such as the Sharpak Zero waste containers from Initial Medical. These are a great alternative to the single-use sharps waste containers used in many dental practices, and are collected and sanitised for up to 10 uses, renewing and extending the life of the product. Then the plastic they are made from is remade into a completely new container, which again has another 10 container cycles; this process will be repeated

10 times, and so replaces 100 singleuse sharps waste containers, before the plastic is recycled to better protect the environment.

The five Rs should always be considered when making changes to your practices item procurement processes. As a result, you may be able to have a reduced impact on the environment, and commit to greener dental care for the future.

To find out more, get in touch at 0808 304 7411 or visit initial.co.uk/medical n

about the author rebecca Waters has worked in the healthcare sector for the past 20 years and earned a BSc chemistry (Hons) prior to joining rentokil initial in 2003. She works within the research and Development team and keeps up-todate on all changes within the clinical waste management industry, as well as the specialist hygiene and infection control industries, and is an active member of the ciWM and HWMa Following roles as an analytical chemist and Hygiene chemist, she has worked in a variety of leading marketing roles since 2006, making her an expert within the industry. She is a Fellow at the chartered institute of Marketing, an FciM. rebecca loves spending time outdoors and in the water – whether walking, camping, or swimming – and completed a focus on environmental studies during her university degree. She is proud to be pushing a sustainability agenda throughout her work.

Keeping patients

Growing your practice requires a complete understanding of your current performance, giving you the confidence to chart the waters of financial expansion. Growth can take many forms: new staff, new patients, new technology – even a new building. It is crucial to quantify your success in appropriate areas so that an effective course of action can be decided. In particular, patient numbers are a major Key Performance Indicator (KPI) that can be the deciding factor for when or how you choose to grow your practice.

retaining the regulars

A demographic of patients to initially consider are those that regularly engage with your practice; the ones that attend their appointments as recommended. Patients who return to the same practice over a consistent length of time display trust and loyalty, leading to sustained business growth and positive word of mouth. By monitoring these active patients, your practice can assess patient engagement and retention, marking positive areas and looking to build further upon them.

Failing to attend

Conversely, it is vital to measure patient attrition. A high attrition rate, such as over the 17% yearly average, can point towards dissatisfaction, distrust or discomfort. This can be an important observation, leading to a reassessment of the practice and the quality of service.

For patients who have stopped engaging with the practice, this can take several main forms: those who simply don’t rebook, no-shows, and cancellations – be aware also that these can simply be caused by scheduling factors, forgetfulness, transportation and work-related issues. No-shows are more damaging to the dental business as they are occupied slots – an empty dental chair could have been filled with another patient if enough notice was given. Instead, no-shows can deprive other patients of essential care and, as 80% of a dentist’s income is treatment-related, it causes a loss of income for clinicians too. When patients miss appointments, the delay in important treatments can lead to complications that may require more costly and complex procedures later on. The other impact is that if the no-show patient wanted to rebook their missed appointment, they are now contributing to an even longer waiting list for dental services. This in turn may negatively impact patient-practitioner interactions if the waiting times increase. Keeping a close eye on your practice’s no-shows can indicate the strength of your business and if it is feasible

to grow. If no-shows are high, it is worth asking patients for feedback to see what can be improved, whilst also incorporating convenient appointment reminders.

New patients

Monitoring the number of new patients is a KPI that can determine the performance of your marketing campaigns, as well as the expected trajectory of your business. Word of mouth is difficult to monitor but a rise in new patients can indicate that recent marketing and promotional work has been successful.

Tracking new patients each month (or over a year) can give you the average expected intake, allowing you to fittingly budget for things like marketing campaigns or new staff as you hope to expand your business into new areas or specialties.

Some new patients may come from those seeking emergency treatment. This can offset the no-shows, eliminating the associated costs and, if the patient is happy with their treatment, can lead to a new patient who will return in the future. Despite being stochastic in nature, noting and analysing emergency treatments can give you a rough estimate for the potential growth in income of the practice in the future.

Seeing all

Loyal regulars, no-shows and new patients are three crucial KPIs for assessing the strength of your practice. To monitor them accurately, consider Sensei Cloud from the practice and patient management brand of Carestream Dental. The cloudbased software is more convenient than on-premise practice software, with realtime dashboards illuminating the live metrics on performance, finances and patient interaction. The Patient Bridge centralises patient communications to promote stronger engagement and better relationships. The software also uses a subscription model, avoiding high up-front costs to help manage the budget of your practice. Through the innovations of Sensei Cloud, you can identify a wide variety of critical KPIs and better realise the growth of your business.

Having a steady flow of patients, new and regular, will keep your practice financially fit to grow, and identifying no-shows can lead to reflection on what needs to be done better. Ultimately, the dentist who prioritises patient well-being will be the one with the successful practice.

For more information on Sensei Cloud visit https://gosensei.co.uk/

For the latest news and updates, follow us on Facebook and Instagram @carestreamdental.uk n

about the author

Paperless perks

Over 400 million metric tons of paper are produced a year. On average, one standard pine tree can produce 10,000 sheets of paper, meaning the number of trees needed annually is in the billions. This is not sustainable. The increasingly digital world of the 21st century has lowered the demand for paper, but the volume of paper needed still shows one thing: more can be done.

A dental practice can use a lot of paper. As such, finding ways to offset the amount of paper needed by implementing more digital platforms can have numerous benefits for a practice. These include inciting a positive environmental change, being more cost-effective, and having a more efficient workflow.

environmentally friendly appeal

Dental practices use substantial amounts of electricity every year and can produce a great deal of plastic waste. The demand for businesses to incorporate eco-friendly routines, resources and education has risen dramatically, with younger generations championing going green. 80% of Gen Zs and millennials (the two most vocal groups in the field, incorporating people born from the early 1980s onwards) want businesses to make their products or services more sustainable.

These two generations both have climate change/protecting the environment as a major concern, with 28% identifying it as their top personal concern. They are therefore more likely to pay for services that protect and benefit the environment.

Studies have shown that patients have positive attitudes towards sustainable dentistry. Many patients are happy to wait longer in appointments or even pay more for environmentally-friendly treatment. Pursuing sustainable dentistry is therefore the right social decision, one that patients – especially millennials and Gen Z – will recognise and value.

The amount of paper a dental practice needs can be extensive: forms, new patient paperwork, chart, bills and receipts. If one metric tonne of office paper requires 2.26 tonnes of carbon dioxide to produce, then regular printing can be detrimental to the environment.

Furthermore, printing requires ink. 500 million ink cartridges are added to landfill sites every year. Each ink cartridge has a carbon footprint of approximately 0.46kg of carbon dioxide, with the plastic and metal components requiring an intensive process to manufacture.vii By adopting a cloud-based system to store data, your practice will not need to print constantly. This can decrease the use of ink and paper by printing only when essential, such as patient forms for those who may struggle to access them online.

Business bonus

when the practice computers will be on and in use regardless.

As the world relies on phones for more and more services, from contactless payments to bank transfers, practices must meet the demands of patients by incorporating technologies that can provide a better service. With cloud-based software, patients can have 24/7 access to information about their appointments, payments and forms. This increases patient engagement with the practice which can then increase appointment attendance. Business can be stronger through digital communication.

ease workflows

Going digital saves time. Staff can send out forms to patients to complete and sign before their appointment, able to be accessed anywhere with internet. This streamlines the appointment process for patients and frees up time for the receptionists, who can then focus on other jobs for a more convenient workflow. Paperless workflows further decrease the time practice staff need to file paper documents. Instead, cloud-based systems can use easy-to-find computer folders and search filters for fast access to important documents. The added risk factor of ensuring that paper documents will not be damaged, folded, creased, stained or ripped is also avoided.

Get on cloud nine

For an ideal cloud-based practice management software to optimise the paperless workflow, consider AeronaDental. Offering high security and a unique dashboard to breakdown important business analytics, AeronaDental is the most feature-rich solution available. The Patient Portal builds online engagement by promoting fast and easy payments, appointment bookings, form-filling and consultations that can all be done online. The Practice Portal add-on allows your practice to offer a secure platform for patients to sign forms electronically, keeping affording more time to staff and preventing printing.

Adjusting your practice with a reliable cloud-based system can help to promote more sustainable dentistry alongside reduced paper use and printing costs. This benefits the business and creates a more efficient workflow, which in turn enhances the treatment experience for patients. For more information, please visit aerona. com or call 028 7000 2040

Minimising paper use by adopting a cloudbased management software is beneficial for the practice. By needing far fewer ink cartridges and paper reams, the business can save money on resources and electricity – printing 10,000 A4 sheets requires 400kWh of power.vii Cutting this down can lower energy bills, especially

Follow us on LinkedIn: @AeronaDental Software and Instagram @aeronasoftware for the latest updates n

about the author

Mark Garner, General Manager, areona Dental.

Caring for patients with cognitive impairment

As dentists today, we see a huge number of different patients with a variety of needs. It is our job to tailor our care in a way that best supports each individual in the dental chair. As Alzheimer’s disease is promoted around the globe throughout September, I thought this a good opportunity to reflect on how we may adjust our approach when treating patients that are experiencing cognitive impairment.

The challenges faced Alzheimer’s disease is estimated to affect more than 980,000 people in the UK, though this is expected to rise to 1.4 million by 2040. This means that we will see an increasing number of patients in the dental practice who may be living with the condition.

The links between Alzheimer’s disease and oral health are well-established. Those with the condition are often at higher risk of everything from tooth decay to tooth wear, gingival disease and dry mouth, compared to the rest of the population. Unfortunately, there is evidence of the relationship working the other way too. People with poor oral health are at a two-fold greater risk of developing Alzheimer’s.

Two 2022 studies have been helpful in determining the potential mechanisms at play, linking gingival bacteria with cognitive decline. The first showed that tau – a protein found in the brain – is released from the nerve cell when it comes into contact with the gingipains enzyme – which

is produced by P. gingivalis during the destruction of the soft tissue. Once free, tau re-attaches to the nerve cell to create neurofibrillary tangles that kill the nerves, causing cognitive decline.

The second study demonstrates that the aforementioned gingipains enzyme can also help form amyloid-beta plaques, which have also been found in the brains of those diagnosed with Alzheimer’s.

Tailoring dental support

The nature of the disease means that patients will often become forgetful, confused or anxious when it comes to daily tasks like oral hygiene. Keeping oral hygiene advice simple is, therefore, crucial. So too is creating as comfortable an environment as possible in order to reduce anxiety within the dental practice.

When it comes to any treatment indicated, it is important to consider the entire patient experience. What may be an easy procedure for a healthy patient, may put someone with Alzheimer’s in considerable discomfort. The spotlight should be put on prevention, managing and arresting any active disease during the early stages of Alzheimer’s if possible. The goal is to avoid the need for invasive or extensive treatment once the dementia has progressed, to prevent significant patient distress.

Assessing mental capacity

Of course, dental professionals must be aware of the regulations and guidelines around caring for a person who may

have reduce mental capacity. Though the rules are slightly different throughout the UK, they are all essentially designed to protect the patient and ensure that they receive the very best possible standard of care. In England and Wales, the Mental Capacity Act requires an assessment of the patient’s capacity where they are unable to adequately understand or retain relevant information (including treatment risks and benefits), compare their options and/or communicate their decision by verbal or non-verbal means.

Patients with more advanced Alzheimer’s disease will typically need to have their care overseen by a designated carer. They then become the person responsible for decision-making with regards to their dental – and any other – care. It’s important that we remember a person’s mental capacity may fluctuate over time, so an assessment should be made during every appointment. Where we see a patient soon after an Alzheimer’s diagnosis, who is still early in

When percussion, ice, heat and radiographs are not enough, electric stimulation may be the diagnostic tool you need for determining the cause of the patient’s discomfort.

The Digitest® 3 electrically stimulates the tooth to test for vitality, resulting in a value ranging from 0 to 64. Comparing the response to the stimulus of the suspected tooth with a known healthy tooth’s response to an identical stimulus helps you:

 identify the source of your patient’s pain

 assess tooth vitality

 test and follow up traumatized teeth

Scan the QR code to watch the video

the disease development, it may also be useful to create an advanced care plan. This can establish the patient’s preferences and guide professional recommendations even once they experience cognitive decline. This is not a definitive solution, but it does help to ensure that their wishes are met as much as possible.

Patient-centred care

No matter what our patients need, it is our duty as healthcare providers to tailor our approach to them. Supporting individuals with Alzheimer’s disease can be difficult, but we can make a considerable difference to their quality of life.

For further information please call EndoCare on 020 7224 0999 or visit www.endocare.co.uk 

About the author

EndoCare, led by Dr Michael Sultan, is one of the UK’s most trusted Specialist Endodontist practices. Through the use of the latest technologies and techniques, the highly-trained team can offer exceptional standards of care – always putting the patient first. What’s more, EndoCare is a dependable referral centre, to which dentists from across the country send their patients for the best in specialist endodontic treatment.

rewiewed by

Digital pulp vitality tester
Digital Pulp Vitality Tester
Product

Switching one bad habit for another?

The long-term effects of tobaccouse on oral and systemic health are well-known. It is implicated in a wide spectrum of diseases, including cardiovascular disease and a range of cancers, including cancers affecting the mouth, head and neck. It is also recognised as a significant risk factor for periodontitis. Tobacco-use is associated with increased pocket depths, loss of periodontal attachment and alveolar bone, and a higher rate of tooth loss. Smokers additionally have a 140.2% higher risk of implant failure than non-smokers.

Therapies using nicotine-containing alternatives (NRTs) to smoking are designed for short-term use. While some products can legitimately help smokers quit the habit, nicotine, even when isolated from tobacco, is not a healthy product. It is addictive, and has been shown to affect gingival blood flow, as well as the immune response due to its effect on cytokine production, and neutrophil and other immune cell function.

Some research indicates that nicotine may in fact be the main ingredient in tobacco that drives the mechanisms responsible for the overall effects on periodontal tissues. Nevertheless, an ever-emerging suite of nicotine-containing products are successfully marketed to non-smokers and smokers alike as not only a lifestyle choice, but as a healthy alternative to smoking.

Nicotine pouches

Increasingly popular with young people, are options that are marketed as ‘tobaccofree’, as this leads to a perception that they are healthier alternatives to smoking. Nicotine pouches (NPs), for example, are thin, prefilled, microfibre pouches, containing white powdered nicotine, flavourings, and filling agents. NPs are placed between the upper lip and gum, dissolving in the mouth over time, entering the bloodstream through the oral mucosa. NPs contain no tobacco leaf, but are potent. They typically deliver higher levels of nicotine than most smokeless tobacco products, although nicotine content varies widely. Some ‘strong’ NPs deliver as much as 11mg of nicotine per unit, while cigarettes typically deliver between 1mg and 3mg per unit, depending on the technique of the smoker.

Relatively new to the UK, NPs are cheaper than cigarettes, and are often branded and flavoured to appeal to young people. They are endorsed by a number of online influencers, and are legally available to under-18s. Some even come with discounts and rewards for referring others, for promoting via personal social media accounts and for frequent use. All signs point to the use of these products continuing to grow, and not as a strategy to stop smoking. In 2021, the global market was valued at $1.50 billion. Based on the steady increase in sales, industry analysts predict that NPs will be valued at $22.98 billion by 2030. At least half of those using NPs had never used nicotine products before.

Nicotine pouches and periodontal health

Despite the increasing prevalence of NPs in recent years, research on the effect of these products on systemic and oral health is still emerging, complicated by the range and variety of products and associated additives. However, studies have confirmed the inflammatory effects of NPs, and there is a clear association with the use of NPs and periodontal disease.

Nicotine is believed to interact with host cells, affecting the inflammatory response to microbial challenges. In vitro studies show that nicotine exposure – particularly serious in NP use due to the close, sustained proximity with gingival tissues – has a significant effect on periodontal health, which can lead to marginal bone loss. The toxins in the chemical can ultimately cause DNA fragmentation and cell death. Studies additionally show that this inflammatory response is exacerbated by different flavourings and other additives included in some products.

treatment options

Before any restorative treatment can take place, habits affecting periodontal and bone health like the use of NPs must be addressed. Any active periodontal infection must be controlled, and the residual effects of periodontal disease on the long-term stability of natural teeth or implants must be treated. This may include regeneration of the bone and gingiva for function and aesthetics, placement of implants, and restorative therapy.

Developing the knowledge and skills to predictably manage hard and soft tissue around natural teeth and implants – especially in complex cases such as treating (ex-) tobacco users – is of enormous benefit to every implantologist’s practice. Founder of the Academy of Soft and Hard Tissue Augmentation (ASHA), and accomplished surgeon, Dr Selvaraj Balaji, is leading an Advanced Horizontal and Vertical Augmentation Course to support clinicians in this endeavour. This unique, two-part course takes place over four days and deals with the theory and practice of anterior aesthetic bone and soft tissue augmentation techniques in both the maxilla and mandible. Delegates will experience flap design, CTG harvesting and fixing, the tunnel technique periosteoelastic technique, and much, much more. As the market continues to develop around products like NPs, clinicians must continue to develop their knowledge and skills to educate and inform their patients, as well as to offer the most effective treatment.

Find out more at ashaclub.co.uk/courses Advanced Horizontal and Vertical Augmentation Course: 27th and 28th of September 2024 / 29th and 30th of November 2024

To book, please call: 07974 304269 or email: info@ashaclub.co.uk n

about the author

Oral health in the age of anxiety

Within the dental-sphere, anxiety and stress are often talked about in the context of patient comfort. But the trials and tribulations of everyday life extend far beyond the practice walls.

The Mental Health Foundation found that 73% of the general population would have felt anxious in any two-week period, with a fifth of people being anxious most or all of the time. Individuals most notably affected were single parents, carers, unemployed people, LGBTQ+ individuals, young adults and people from a minority ethnic community, amongst others.

When anxiety is so heavily prevalent, clinicians must be prepared to aid individuals with subsequently impacted dentitions. The potential effects of these stresses vary between patients, so comprehensive knowledge is necessary.

Coping mechanisms

Everyone reacts to stress and anxiety differently. However, some academics have found that patients displaying anxiety symptoms are linked with a lower tooth brushing frequency and self-perceived need of dental treatment – though the regularity of dental visits is not affected.

Therefore, patients living with anxiety may be less inclined to take action on an oral health problem before an appointment. This leads to the progression of oral diseases with limited attempts to disrupt it.

Research has also seen that maladaptive coping mechanisms, such as alcohol use and unhealthy eating strategies, are used to combat stress. Individuals may try to self-medicate their anxiety with alcohol, but those with alcohol use disorder tend to have higher plaque levels on their teeth, and are three times as likely to experience permanent tooth loss.

Anxiety symptoms are also shown to have a positive relationship with emotional eating, where some individuals are predisposed to eat in response to negative emotions; the food of choice is usually energy dense, poor in nutrients and notably high in sugars. Excessive sugar consumption is considered the main cause of dental caries, and without adequate oral hygiene routines, anxious patients could experience severe tooth pain and a higher need of tooth extraction.

Clenched jaws

Anxiety can also cause patients to form subconscious habits that they may not notice in the moment. Bruxism is one such problem; the NHS notes that stress and anxiety are the most common causes of the issue.

In the dental practice, patients with effects of awake bruxism on the dentition may experience state (transient) anxiety. When questioned about the presence of mandibular tension, they often answer that it isn’t always present, but is common in stressful situations.

we understand it much better. Evidence suggest that mastication reduces negative mood, cortisol release, and the production of salivary chromograninx. It is no surprise that in moments of anxiety, the body enacts the masticatory muscles to seek such effects. However, for patients that experience heightened levels of anxiety for an increased period of time, such bruxist habits can affect the dentition. Attrition, in particular, can be especially detrimental. With an aetiology often linked to bruxism, attrition is the loss of tooth structure due to tooth-totooth contact; it is generally seen occlusally. The effect is visible wear to the dentition, causing aesthetic and functional issues, which could contribute toward newfound social anxieties.

Practitioners should help patients identify the effects of bruxism early, and attempt to help them manage the problem. This could include the use of occlusal splints, mandibular advancement devices, or behaviour management attempts. Once bruxism habits have been arrested, restorative work may be carried out –the habit will only damage any provided treatment if it is left unmanaged.

Solutions for smiles

Whether patients still struggle with anxiety, or have found a way to manage it (and its effects on the dentition) effectively, they may present at the dental practice with a variety of needs for the dental practitioner to meet. Professionals must be prepared to actively encourage effective oral hygiene routines, and provide brilliant treatment results, addressing issues such as tooth decay and tooth wear with confidence. Effective composite restorations may be all that are necessary, but clinicians must ensure they are functional and aesthetic no matter the case. The Filtek Easy Match Universal Restorative from Solventum, formerly 3M Health Care, provides an optimal solution in many cases. Just three shades – Bright, Natural and Warm – can match across the classical VITA shade guide, making the choice of composite simple, but the aesthetic results extraordinary. The universal restorative composite features excellent wear resistance and strength, as well as naturally-adaptive opacity, making it an easy and intuitive choice for many direct anterior and posterior restorations. Patients dealing with anxiety should know that at the dental practice, this doesn’t have to be the case. With the identification of the impacts of stress in the dentition, and brilliant treatment choices that combat them, clinicians can send patients home smiling.

Awake bruxism is related to emotions and how they are processed. It’s not a new idea – Charles Darwin was noting that bruxism gave relief in moments of pain and agony in the 19th century – but today

Preorder your Filtek Easy Match Universal Restorative from Solventum (formally 3M Health Care) today! n

©Solventum 2024. Solventum, the S logo and Filtek are trademarks of Solventum its affiliates. 3M and the 3M logo are trademarks of 3M.

Joint break

Poor oral health can affect a patient’s overall well-being: the risk of diabetes, dementia, heart disease and respiratory infections can be increased by an inadequate oral hygiene routine. Another prominent systemic health condition is rheumatoid arthritis (RA), which has a strong association with gingival diseases. RA is an autoimmune disease characterised by an accumulation of inflammatory cells that destroy cartilage and bone tissue. Its symptoms include joint pain, joint damage, impaired function and increased mortality, with a global prevalence of 0.5% to 2%. Whilst exasperated by environmental factors such a smoking and obesity, RA has a connection with periodontitis and tooth loss and so practitioners must educate patients on the need for a consistent oral hygiene routine.

Inflammatory explanatory 30% of the adult population are affected by periodontal disease, with poor brushing and flossing habits facilitating plaque buildup, eventually leading to the development of gingival diseases. RA and periodontitis are inflammatory diseases that share many similarities – both can be triggered by smoking, for instance. Genetic risk factors also overlap, with shared epitopes within the β-chain of the human leukocyte antigen and tyrosine phosphatase being involved in both RA and periodontitis.

For patients with RA, the immune system attacks the synovium – the cells that line

the joints – by mistake, making the joints swollen, stiff and painful. However, research suggests that RA does not begin in the joints, but is a result from autoantibodies produced in other areas of the body, such as the mouth or lungs. Identifying the role of the oral cavity in contributing to RA is essential to educate at-risk patients on.

Oral microbes excel at creating autoantibodies. One such microbe is Porphyromonas gingivalis, which is linked to both periodontitis and arthritis. P. gingivalis escapes through damaged tissue and enters the bloodstream to travel around the body. The microbe contains a unique enzyme that changes proteins to the extent that the body perceives them as a threat and attacks. Known as citrullination, the process increases the production of antibodies that attack the synovium. By maintaining an effective oral hygiene routine, the prevalence of harmful microbes such as P. gingivalis can be reduced, and therefore also the risk of RA.

A reciprocating relationship

Poor oral hygiene and the resulting risk of periodontitis may increase the likelihood of RA, but patients with RA also have a risk of developing periodontitis. Arthritic patients are twice as likely to have a gingival disease compared to those without RA, and the severity is far worse too.

While gingival diseases can increase the risk of RA, RA can impact the oral cavity. Common oral manifestations of RA include temporomandibular joint disease (TMD)

and Sjögren’s syndrome. As impaired movement is a common symptom of RA, toothbrushing and interdental cleaning may become a challenge if joints in the jaw, arms or hands are affected. This can exacerbate oral health problems so it is essential to reduce the risk of RA where possible.

An effective solution

As a practitioner, simply providing information on oral care may not change the daily cleaning practices of a patient. Acceptance and adoption of a practitioner’s oral hygiene recommendations may be more likely if patients are informed of the link between oral health and overall health, in particular the connection between gingival diseases and systemic diseases like arthritis. With a greater awareness of why they should take look after their oral health, patients can take more time and care in their daily hygiene routine.

Using an effective toothpaste consistently can prevent plaque build-up and reduce the risk of gingival diseases. Arm & Hammer offer an excellent range of 100% Natural Baking Soda toothpastes, with one aimed for Whitening Protection and another perfect for Gum Protection. Baking soda has a low-abrasive nature, and Arm & Hammer toothpastes boast superior stain removal compared to non-baking soda toothpastes. The unique formula contains 1450ppm of fluoride for the efficient neutralising of acids and the remineralising of the enamel. The carton, tube and cap are all fully recyclable to encourage eco-

friendly dentistry. For patients in need of a first-class natural toothpaste, recommend Arm & Hammer.

Research continues to highlight the connection between systemic health complications and oral health, such as RA and periodontal diseases. It is therefore vital that patients are educated on how a good oral hygiene routine can reduce the risk of diseases like RA developing.

For more information about the carefully formulated Arm & Hammer™ toothpaste range, please visit armandhammer.co.uk or email: ukenquiries@churchdwight.com Arm & Hammer™ oral healthcare products can now be purchased from Boots, Amazon, Superdrug, ASDA, Sainsbury’s, Tesco, Morrison’s, Waitrose & Partners and Ocado. 

About the author

Sharon Kidd has experience working as a hygienist in a variety of different settings including dental hospital, domiciliary home visits, military, private and general practice. She works with specialists and general dental practitioners to support patients with different needs including those who are nervous to visit the dentist. Sharon is also a professional educator for Waterpik, the water flosser.

Implant stability quotient (ISQ)

Rapid advances in surgical techniques and equipment, as well as an ever-developing body of evidence around the mechanisms involved in osseointegration, have made dental implants an increasingly predictable treatment for edentulism. There is now an array of options for successful treatment in all bone types. Despite an impressive success rate, now estimated to be over 97%, failure can still occur, and complications can be a barrier to treatment. Overall, primary, or mechanical stability is the best indicator of implant success, alongside the patient’s capacity to heal.

Clinicians have to consider the impact of putting a healing implant under stress when deciding on loading protocols, and decisions are dependent on secondary, or biological stability. This is determined through bone regeneration and remodelling resulting in osseointegration, and is largely influenced by the factors related to the design, material and surface treatment of the implant, as well as the quality and quantity of the bone. For example, the length, width and surface texture of implants influences survival rates, and bone quality is of vital importance, particularly in the first 4 to 12 weeks of healing.

measuring stability

Two well-accepted measures of implant stability are the insertion torque value (ITV), and the implant stability quotient (ISQ) through resonance frequency analysis (RFA). Reverse torque was conventionally the first measure

used to confirm integration. However, torque is a measure of frictional rotation, not a measure of stability, which is resistance to micromovement. Although torque doesn’t register the variable morphology of bone around an implant, it can be a valuable addition to radiological and clinical examination. However, ISQ is the only way to tell if implants can resist micromovement, and is now believed to have a greater predictive power for the clinical outcome than ITV.

ISQ is an effective means to establish a baseline and subsequently to identify trends in a patient’s healing process which provide indications for the best loading protocols. When used in conjunction with clinical judgement and other measures, monitoring ISQ is the best predictor of biological stability.

RFA to establish ISQ is performed by measuring the response of an implantretained piezo-ceramic element to vibration. The peak amplitude of the response is then converted into ISQ values in a range from 0 to 100. The range between 60 and 70 is of greatest significance when planning treatment, as we will examine in further detail.

the ISQ workflow

As Dr Aly Virani said in a recent webinar on ISQ, loading protocols, and the role of progressive loading: “An integration check at placement is essential for ISQ readings during the healing process to be truly useful. The narrative offered by multiple readings is one of the main advantages of ISQ monitoring. For example, if an implant has shown a medium-high ISQ at placement,

but then a medium-low one after four weeks, this shows a decline in stability, whereas, if a low ISQ reading at placement then becomes a medium-low one, this demonstrates positive progress. The implant may simply require more time to integrate.” Where ISQ is less than 60 at placement, the implant may need to be submerged below the soft tissue, and may require a longer healing period, with regular tests to determine progress. Delayed, early or progressive loading can be considered, depending on the quality of bone, once an ISQ value above 60 has been determined.

Any reading above 70 is considered high stability, and can provide an optimal basis for immediate loading protocols. Dr Virani added: “ISQ is perhaps most useful when monitoring implants in the middle range, or when implants are heading for failure due to compromised healing, medications or underlying medical conditions.”

the advantages of progressive loading with low-medium ISQ

Bone quality is of prime importance during the osseointegration process, and where it is less dense, progressively loaded implants have a number of advantages. ISQ is the most useful tool in implementing this treatment type.

Studies have shown that progressively loaded implants show a continuous increase in periimplant bone density, due to a phenomenon known as Wolff’s Law. This is where trabecular and cortical bone strengthens as an adaptation to stress caused by mechanical loading. This practice has also been called “bone training” for its potential to strengthen bone.

A clinician can manipulate the process by slowly increasing the stress on the maturing bone, allowing time for the bone to increase in density and thus be able to withstand the subsequent higher loading. The ISQ testing process of periodically removing a healing abutment to test can in itself contribute to this healing process.

Determining stability with the best tools available

The Osstell Beacon from W&H is a fast and non-invasive tool used to determine ISQ reliably and intuitively. The Osstell Beacon works with the free, cloud-based analysis software, Osstell Connect, to easily determine which implants can be treated and which require additional healing time, providing documentation for sharing and review. The Osstell Beacon also works seamlessly with the Implantmed surgical unit and Piezomed piezo surgery device, offering a full surgical solution. With increasingly accurate tools and greater knowledge of the processes around optimal osseointegration, using ISQ as a measure throughout the treatment process gives both clinician and patient greater certainty and confidence.

To find out more visit www.wh.com, call 01727 874990 or email office.uk@wh.com n

about the author

High-quality images for preventive care

Providing high-quality dentistry should always start with perfecting the basics. Every dentist’s top priority should be preventing oral health issues occurring. This must always mean providing tailored oral hygiene and lifestyle advice to help patients prevent oral diseases. This should also mean that clinicians monitor their patients’ oral health closely, checking for any changes which may cause problems in the long-term. Practices should carefully consider the equipment and workflows they use to detect and prevent complications in the mouth.

the value of preventive dentistry

Preventive dentistry is essential for helping patients maintain a healthy mouth. Longterm, it means that patients will require less dental treatment and will keep their natural teeth for longer. Caries and gingivitis are the most common causes of tooth loss, so it is essential that clinicians monitor for the early signs relating to these, and offer preventive treatment and advice to slow or stop their progression. Preventive dentistry also benefits patients who have already lost teeth or undergone restorative treatments, as regular appointments will help clinicians monitor for signs of mouth cancer, bone loss, and denture stomatitis.

Intraoral x-rays for enhanced preventive care

Dental x-rays are essential for any aspect of dental care. Whilst they are primarily

a diagnostic tool, offering clinicians a clear view of the patient’s teeth and hard tissues when used in combination with a high-quality sensor, they are also a very helpful tool in prevention. By taking x-rays as regularly as indicated, dentists are able to diagnose potential oral care issues before they become a major concern. This might include analysing the teeth for cavities, health of tooth roots, bone health around the teeth, potential for periodontal disease, and the status of developing teeth. In doing so, clinicians can monitor the health of the teeth, and make appropriate recommendations for treatment or at-home care to prevent the progression of issues.

But are they safe?

Whilst all dental professionals will understand that x-rays are essential for an accurate diagnosis and for providing comprehensive dentistry, some patients may be concerned about their safety. As such, it’s important that clinicians are able to reassure nervous patients about the use of dental x-rays, and the numerous benefits they offer. There are regulations in place to protect people and the environment against radioactivity. The ALARA principle, in relation to dentistry, requires clinicians to minimise the radiation dose to a patient as much as is reasonably achievable. When used with a high-quality imaging sensor, as opposed to an intraoral phosphor plate, the radiation dosage required to produce a clear image is minimised.

Dentists should always assess the risks versus benefits when deciding whether to provide an x-ray. If the benefits afforded to the patient and their oral health outweigh the potential risks posed by radiation exposure, an x-ray should be performed. Many people need regular x-rays to monitor their oral health, but how regular will depend on the individual and their medical and dental history, as well as their current situation. For some, this might mean an x-ray is carried out every six months, whereas those who visit their dentist regularly and have excellent oral health will need x-rays less frequently, perhaps every one to three years.

High-quality images to communicate with patients Investing in high-quality equipment which enables you to offer accurate diagnostics and clear preventive care advice is essential. Perfecting the basics will mean that any treatment provided based on your x-ray findings will be informed and accurate. The ability to produce clear images will also provide you with effective tools for communication. It is incredibly helpful to show patients their radiograph to help them understand their unique situation, and the exact issues you’re discussing.

This will, in turn, help to boost treatment acceptance and oral care compliance. When patients have a good understanding of their oral health, and any issues they may have, they are able to confidently provide informed consent, ask relevant questions, and discuss their situation with the dental team and their families.

Available from Clark Dental, the Heliodent Plus intraoral x-ray from Dentsply Sirona combined with the XIOS AE Supreme intraoral sensor offers efficiency and flexibility. Ideal for supporting everything from everyday to complex cases, the imaging system offers safe and intuitive operation alongside consistent imaging and remote functionality. Further to this, the Heliodent Plus is ideal for any dental practice, with numerous installation configurations available to align with your unique space, workflows, and specific needs. The experienced team at Clark Dental is able to help you decide on the best configuration for you.

In any dental practice, no matter the type of dentistry you provide, getting the basics right is key. This means taking accurate images to support diagnosis and treatment planning, and offering patients preventative care options to maintain their oral health. The use of a high-quality imaging system is essential for enabling this, and ensuring your dental team is able to offer patients the highest standards of care.

For more information call Clark Dental on 01268 733 146, email info@clarkdental.co.uk or visit www.clarkdental.co.uk n

about the author Stuart Clark, managing Director of Clark Dental.

Ceramir

CAD/CAM

BLOCKS are a breakthrough in the market of CAD/CAM

materials!

Ceramir CAD/CAM BLOCKS are manufactured using a patented and highly advanced laser sintering technology. The result is a material with the strength of particle infiltrated ceramics, the aesthetics of glass-ceramics and the flexibility similar to dentin.

For more information scan the QR-code with your phone

The inclusion of occlusion

Within dentistry, occlusion can cause confusion, even controversy. Debate surrounding its definition has existed for over a century. The complications of poorly managing occlusion mean that its mechanical definition is not the only concern for dentists. Occlusion should also be interpreted at a broader level that encompasses patient health and even the central nervous system.

Some dentists, particularly those providing orthodontics, advocate occlusion as the key to resolving multiple disorders, even some that are far removed from the masticatory system.

Watching jaws

Orthodontic treatment seeks to achieve a functional and aesthetic improvement by moving teeth into the optimum position. Orthodontists therefore must consider the relationship between the maxillary and mandibular teeth to manage malocclusions such as overbites, underbites and open bites.

Occlusion is unique, and inherited factors, habits like thumb-sucking, and skeletal abnormalities can all be causes of malocclusion. Having extensive knowledge of the patient’s medical history is beneficial for an accurate diagnosis and predictable treatment.

The notable signs of malocclusion include limited masticatory function, speech problems, misaligned teeth, an alteration from nasal to mouth breathing,

and changes in facial structure. If these signs are observed to disrupt the patient’s quality of life, they should be referred to an orthodontist.

Evaluating occlusal problems can be assisted with extraoral radiographs, such as panoramic radiographs or a conebeam computed tomography (CBCT) radiograph. These can provide a greater understanding of the teeth position and permit analysis of the patient’s airway and the temporomandibular joint, allowing for a more accurate diagnosis of malocclusion.

untreated and unchecked

35-45% of all children and adolescents have a severe malocclusion that needs orthodontic treatment. If left untreated, malocclusion can cause tooth wear and can increase the risk of tooth decay and caries, as crowded mouths trap food and make brushing and flossing harder. Plaque build-up can lead to gingivitis, too.

Untreated malocclusions put limitations on the patient’s ability to masticate. If the mechanical reduction of food is inhibited, digestion becomes suboptimal and can lead to the development of gastritis and ulcers. Malnutrition may also emerge as a consequence if diet is changed to accommodate the limited masticatory function.

The impact of an impaired chewing function then extends beyond the physical as the overall quality of life will be impacted if food cannot be fully enjoyed. This is particularly prevalent among adolescents.

the tmd debate

Untreated occlusion can be a factor, though this is still being debated, in the development of temporomandibular disorders (TMD), the second most common musculoskeletal condition after chronic lower back pain. During orthodontic treatment, TMD signs and symptoms have been known to appear. These include pain around the jaw, ear and temple, clicking noises when the jaw is moved, headaches around the temples, and jaw locking when the mouth is open.

Despite the volume of research on TMD and occlusion, there is still a controversy around their tenuous connection. Much of the discourse concerns the varying definitions of each term. Some believe that the link is as clear now as it will ever be, and that progress can only be made by studying what is available and implementing practitioners’ experiences. Therefore, by managing occlusion there is a chance that TMD may be prevented or least reduced. Even if occlusion and TMD are more disconnected than some think, enhancing teeth alignment will still boost the physical, social and psychological well-being of a patient.

Brace yourself

Malocclusion can be treated in several ways. The use of palatal expanders before orthodontic appliances is sometimes useful for adolescent patients as during puberty the maxillary bones become fused. Clear aligners have grown in popularity as a way to enhance occlusion. Computer-aided design technology digitally scans the dental

arches so that clear removable trays are created. The patient may then wear one for two weeks, 22 hours a day before changing to the next aligner. This will straighten the teeth and alleviate less severe malocclusion. Knowing how to define, diagnose and deal with occlusal problems is an integral part of keeping patients healthy and happy. To learn more about occlusion, the IAS Academy offers The Basics of Occlusion as a two-day training course that promises to give you the confidence and skills to confront and grade occlusal risk. Formerly taught online by respected dentists Dr Jaz Gulati and Dr Mahmoud Ibrahim, the course now takes an in-person, practical approach. It uniquely covers post-orthodontic occlusion principles such as the occlusal adjustments after aligner therapy in adults. Rooted in experience, study and innovation, The Basics of Occlusion course will demystify the confusion of occlusion. For decades, occlusion has sparked debate and controversy. With numerous complications associated with it, getting to grips with occlusion is essential to helping your patients lead happier, healthier lives. For more information on upcoming IAS Academy training courses, please visit www.iasortho.com or call 01932 336470 (Press 1) n

about the author dr tif Qureshi, founder and a clinical director of iaS academy.

The decision tree – assessing implant treatment protocols

The decision tree is a useful framework for managing the large number of complexities involved in developing treatment plans for edentulous patients. A patient’s suitability for immediate or delayed implant treatment will depend on a number of factors. Although increasingly reliable strategies for enabling immediate implants are available, it is important to ensure conditions are optimal for successful osseointegration before proceeding.

Studies point to primary stability as the basis of implant survival. Creating conditions that prevent the risk of micromovements associated with failure is vital. Many questions remain to guide the clinician’s treatment plan, which should be reassessed at every stage. Has the extraction method preserved enough bone and tissue to indicate immediate placement? Will the socket be best preserved through augmentation, through immediate placement, or through other techniques?

reducing extraction trauma

There have been many advances in technology in recent years, designed to minimise trauma during the extraction process. A number of studies, however, still favour the manual periotome over alternatives. The long, thin edge of the tool is very successful in gently separating the tooth from the alveolar ridge without damaging bone, periodontal ligaments or surrounding teeth. The periotome is also found to be effective in atraumatically removing endodontically treated teeth as well as teeth with crown-

fractures, though a great deal of care is required to prevent tool fracture.

Piezosurgery is a relatively new technology powered by ultrasonic vibration. The success of the piezosurgery device is now wellestablished in oral and maxillofacial surgery because of its inherent precision, in addition to its ability to cut bone atraumatically, while preserving soft tissue. The accuracy and strength of piezosurgical instruments means less force is needed, enhancing operator control further. Piezosurgical devices compare well with other surgical devices for superior cutting action with less collateral damage and less bleeding, resulting in improved healing.

Much of the evidence still favours the use of manual periotomes over the piezotome for atraumatic extraction. This is due to shorter average operating time, lower postoperative visual analogue scale (VAS) pain scores, and lower dosage of analgesics seen over the course of a number of studies. However, piezotomes do maintain better soft-tissue integrity around extracted teeth, and the technology is quickly developing, making it a more and more promising option.

Socket preservation and immediate implant placement (iiP) New methodologies have enabled similar survival rates for IIP in fresh extraction sockets as delayed implant placement in healed sockets. Although delayed placement is marginally more predictable, the several advantages of IIP include shortened total treatment time, reduction of the number of invasive surgeries, and subsequent reduction of patient discomfort.

The combination of atraumatic extraction, socket preservation, and IIP can prevent

alveolar resorption. If there is a lack of early bone support, or a gap between the extraction socket and implant, and if it is not possible to cover the fixture with soft tissue, IIP has to be considered alongside socket-preserving mitigations. These include coverage with soft tissue or a membrane and bone augmentation to reduce the risk of micromovement, infection and implant loss.

Partial extraction therapy has been shown to be successful in preserving the socket, while allowing for IIP. The concept – also known as the socket-shield technique (SST), root membrane technique, or partial root retention –was designed to minimise bone loss, protecting the buccal bone. In this technique, a fragment of tooth is left attached in the socket, and the implant is immediately placed alongside.

The aim of SST is to preserve the buccal two-thirds of the root in the socket so that the periodontium, along with the bundle bone and the buccal bone remains intact.

Once a tooth is extracted, the buccal bone is deprived of the blood supply from the socket side which contributes to bone-loss. The root section preserves the periodontal attachment apparatus, ensuring it remains vital and undamaged. This procedure, however, requires a great deal of precision and skill, and is not recommended for all cases.

Another socket preservation technique makes use of autologous biomaterial. Platelet-rich fibrin (PRF) is widely available, inexpensive, and has prolonged growth factor release, together with several other advantages over traditionally prepared platelet concentrates. It has been used widely for periodontal intra-bony defects, sinus augmentation, socket preservation, and gingival recession. Its short-term effectiveness

is well-established; however, this diminishes over a period of two weeks as it is resorbed and loses its biological activities.

developing confidence and skills for improved decision-making

Ucer Education and ICE Postgraduate Dental Institute and Hospital/University of Salford is offering a comprehensive, advanced course in the theory and practice of managing tooth loss, with a focus on decision-making around immediate implants versus socket preservation. The course is led by eminent specialist oral surgeon, Professor Cemal Ucer, and features the clinical expertise of Dr Ulpee Darbar and Professor Simon Wright. With a combination of theory and hands-on experience, participants will gain a deeper understanding of everything from disuse atrophy, osseointegration and soft tissue management, to bio-enhancement techniques, IIP and loading using analogue or fully digital workflows.

Decision-making is a vital function of the clinician, and should be informed by evidence at every level. Developing the confidence to discern the optimal treatment for patients comes from the acquisition of practical knowledge and skills combined with a strong understanding of all the options available. Please contact Professor Ucer at ucer@ icedental.institute or Mel Hay at mel@mdic. co or call 01612 371842 n

about the author

Prof. cemal ucer, BdS, mSc, Phd, FdtFed., iti Fellow, Specialist oral Surgeon

BioMin ® F toothpaste increases acid resistance of teeth by 1,000%

BioMin® F is the only toothpaste that delivers low level Fluoride with Calcium and Phosphate ions continuously for 12 hours after brushing. These combine to form Fluorapatite on the tooth surface ensuring the teeth are 10 times better protected to survive acid attack and therefore less prone to decay.

Soluble Fluoride, used in all other toothpastes, is rapidly washed away by saliva and has little clinical benefit just over an hour after brushing.

BioMin® F solves the problem of traditional soluble Fluoride toothpastes.

BioMin® F bioglass is the result of 15 years research and development at Queen Mary’s University, London. Uniquely, this slowly

dissolving bioactive glass adheres to tooth structure releasing optimal proportions of Calcium, Phosphate and Fluoride ions over a 12 hour period after brushing. In contrast traditional Fluoride toothpastes contain soluble Fluorides which are rapidly washed away by saliva and ingested.

Bioglasses in toothpastes

Developed over 20 years ago, NovaMin® represents the first generation bioglass used in toothpastes though it was not originally developed for this purpose. It had initially been formulated for bone grafting. Only later was it used in toothpastes because of its adherent and slow dissolving capabilities to release Calcium and Phosphate. It does not contain Fluoride nor optimum proportions of Calcium and Phosphate minerals.

First generation NovaMin®, the active ingredient in Sensodyne Repair and Protect, is a bioglass without Fluoride. Repair and Protect incorporates additional soluble Fluoride which rapidly washes away like all other saliva soluble Fluoride toothpastes.

In contrast, BioMin® F represents a more advanced second generation bioglass, which has been specifically developed for dental applications and is uniquely formulated to slowly release Fluoride, Calcium and Phosphate ions over a 12 hour period after brushing. It facilitates rapid and continual production of stable, acid-resistant Fluorapatite within dentinal tubules and on tooth surfaces.

BioMin® F with controlled release Fluoride facilitates constant Fluorapatite development on the tooth surface, which increases the acid-resistance of natural tooth enamel by 1,000%. All other toothpastes contain soluble Fluoride salts that are rapidly washed away providing far less protection.

The Fluoride 1350, 1450 and 1500 misconception

Some wrongly believe that the optimal toothpaste should contain 1,450ppm of Fluoride. This figure is not based upon optimal clinical benefit, but is simply the legal maximum a toothpaste can contain without having to comply with more onerous product registration requirements. No manufacturer can add more Fluoride to a toothpaste without a Pharmaceutical Product Licence. Manufacturers add as much soluble Fluoride as they are legally allowed to in order to maximise preventive properties before the Fluoride is washed away. BioMin® F does not have this problem because of its controlled continuous release of Fluoride with Calcium and Phosphate. Brush twice a day with BioMin® F and Fluoride is ever present doing a fine job!

BioMin® F – Safer than high Fluoride toothpastes

The higher the Fluoride content the greater the risk of Fluorosis by accidental imbibition,

especially amongst children and people more prone to swallowing their toothpaste. With its dramatically lower 530ppm Fluoride content this risk is minimised, whilst still delivering 12-hour Fluoride protection!

Brush twice daily for 24-hour Fluoride protection and reduced sensitivity

BioMin® F has been formulated to contain Fluoride, Calcium and Phosphate ions in the optimum proportion to strengthen and protect enamel. What’s more, as the oral pH decreases after consumption of sugary and acidic food and drink, the bioactive glass dissolves quicker, resulting in even faster release of these minerals, which in turn neutralises acid helping to stabilise the pH further and helping to protect the teeth from decay.

BioMin ® F bioglass particles are engineered to be 60% smaller than those found in NovaMin® products, resulting in less abrasivity and deeper penetration of the dentinal tubules with acid resistant Fluorapatite. So, the formation of Fluorapatite is not just on the surface of the teeth, but also deep within the dentinal tubules. The tubular occlusion achieved with BioMin® F is much more resistant to dissolution, providing more effective and longer-lasting relief from dentine hypersensitivity. No other toothpaste can deliver such effective strengthening and protection of enamel and long-term protection against dentine hypersensitivity, no matter how much they spend on expensive machinery and advertising!

Published research shows that BioMin® F outperforms other sensitivity toothpastes in its ability to block dentinal tubules, resulting in superior and long-lasting sensitivity relief (Studies available upon request).

For further information visit the Trycare website, www.trycare.co.uk/biomin, contact your local Trycare representative or call 01274 885544. n

A piece of the implant pie

It’s no secret that implant dentistry is experiencing a boom. Valuations of the industry sat between USD 4.24 - 4.99 billion (approximately GBP 3.33 - 3.91 billion) in 2023, with projections stating it could reach USD 9.62 billion (GBP 7.55 billion) by 2030. Even conservative estimates project implant dentistry to be valued between USD 7.89 - 8.06 billion (GBP 6.19 – 6.33 billion) by 2032. With growth comes opportunities to provide improved care to patients in need. The potential demand for implants is considerable – some estimate that 23% of the US population alone could have one by 2026. If the demand amongst UK patients develops in a similar manner, dentists need to be ready for the call to action.

If you’re considering a route into implant dentistry in anticipation of this growth, choosing the right education pathway for you could be simpler than you think.

Any dental professional looking to traverse the field of dental implantology cannot do it alone. To be successful, you must surround yourself with talented, passionate clinicians, and seek to learn from them at any given opportunity. When assessing the myriad dental implant courses available to you, read into the programme lecturers and speakers, and find out what you can about their own experiences. These, after all, will be the individuals that you learn and develop your own skills from. Mentoring is another brilliant aspect to look out for; where the opportunity arises, it could mean you receive more in-depth support throughout the course, as well as into the future. The College of General Dentistry created the Mentoring in Implant Dentistry: Good Practice Guidelines to aid dental professionals through this aspect of training. It lays out the experience, skills and qualities expected of a mentor, and could be a good reference point when assessing the credentials of dental implant courses, with a future view to mentorship.

A Master’s degree can be helpful to some clinicians, but it is not the only option for those first getting involved with dental implantology.

As the General Dental Council’s Standards for the Dental Team states, whilst you must be “appropriately trained, competent, confident”, the fact is that “training can take many different forms”. A postgraduate diploma, for example, is an excellent option for some clinicians. They are typically shorter than a Master’s, the level of education you receive is of the same quality, and there is no need to complete a dissertation at the end of the course.

No matter whether your take a Master’s degree or a postgraduate diploma, you must feel prepared to actually place implants by the conclusion of the course. If a programme focuses too much on the theoretical aspects of implant dentistry, and too little on practical experience

in managing cases, you may feel inadequately prepared. The right course will offer you the chance to plan and place implants throughout the duration of study, and perhaps even offer mentoring after completion of the training.

Remember that implant dentistry starts long before the surgery; in fact, placing the implant may be the simplest step. Look for courses that put an emphasis on the planning and management of implant treatment, as they will give you a more comprehensive skillset and help you improve your care throughout the entire treatment process.

A course in implant dentistry should build on your past experiences, and not leave any gaps in knowledge once you have completed it.

If you currently have little surgical experience, or are not yet entirely confident in your abilities, invest in a course that will truly build your capabilities from the ground up. Every implant dentist has to start somewhere, and you will face more difficulties if you choose a course that is structured for clinicians whose skills and expertise surpass your own. With time, you’ll be on these courses too.

When you consider each element of what you want from a course and what it can offer you, you’re more likely to find a programme that is ideal for you. This could be the Postgraduate Diploma in Implant Dentistry from One to One Implant Education, an ideal opportunity for those new to the field. The course is based on hands-on learning, with an equal emphasis in theoretical grounding. World-class implantologists equip budding implant dentists with the ability to treat a wide array of cases, and even explore advanced skills such as guided bone regeneration. Delegates will establish life-long professional connections amongst a network of clinicians that can lean on each other for support, long into the future.

Implant dentistry will only grow in the coming years. To join the clinicians already providing exceptional restorations around the world, taking the time to find the right course to carve out your pathway is invaluable.

To reserve your place or to find out more, please visit 121implanteducation. co.uk or call 020 7486 0000. n

about the authors dr Fazeela Khanosborne, Principal implant and Restorative Surgeon.

dr nikolas Vourakis, Senior implant and Restorative Surgeon in private clinics in London and edinburgh.

Changing lives

Professor eddie Scher will explore the importance of digital tools in treatment planning at ADI Congress 2024 alongside his dental technician colleague Bryan Matthews. Here, he shares the inspiration behind his session title, Changing lives, as well as an insight into his lecture topic, and why clinicians should attend

Treatment planning is all important – everything relies on it. Before I actually start the treatment, I find that I need to be able to see the end result in my mind. It’s important for predictability that we are able to scientifically prove that we can do it before we begin, especially as there are so many things that might potentially go wrong during implant treatment. Previously, clinicians might show patients a photoshopped image of what they hope their smile might look like. However, this might not necessarily be achievable. The only way to show the patient the end result is by using a diagnostic wax-up. This is a very expensive laboratory procedure and, in this presentation, Bryan Matthews will present the digital software which now replaces the diagnostic wax-up, enabling us to show patients exactly what their final outcome will look like.

Gaining informed consent

As mentioned, digital tools have changed the way we work. They allow the dental surgeon to create a treatment plan that they can then show the patient. This might be by showing a virtual model on the screen or, ideally, by 3D printing a model. Where possible, a before and after model should both be printed. Patients should then be able to look at each of these, look in the mirror, see the comparison, and ask any questions they may have. Additionally, this is a great way for patients to request changes – pointing out where they might think that teeth are too wide, or long for example – enabling patients to get involved in the planning of their own treatment.

My main reason for choosing the title “Changing lives” is that, over the last couple of years, three patients have told me, “You have changed my life.” This is why I believe it’s so important that we have the knowledge and education to take on complex cases, and conferences, like this one, will be part of your education to go to the next level of competence.

the relationship between clinicians and dental technicians

As part of my session, I will be inviting Bryan to present how the digital side of the process works in the lab; to help show and explain the whole process in a well-rounded way. I hope that delegates will come away from our session with a good understanding of the digital workflow. Digital dentistry allows clinicians to circumvent a diagnostic wax up, which would previously involve cutting down a physical model and hand-crafting them to the correct end result. Now, we are able to digitally create a real-life end result, helping us to obtain full consent.

Digital dentistry is definitely the future. It allows us to be very accurate in our diagnosis and treatment planning processes. It allows a workflow in the

dental laboratory that enables technicians to create the end result and make it fit the patient’s occlusion as perfectly as possible.

Valuable lessons for delegates at adi team congress 25 I hope that delegates attending my session will understand how important treatment planning is – patients are able to see the end result before we start. This is essential for medico-legal consent. I also hope that attendees will understand how digital software works –for example, by improving accuracy and predictability.

I’m a teacher, I’m an educator. I believe that dentists performing implant dentistry must learn from many different sources about how to proceed with different treatment types. Drawing on their knowledge and experiences, clinicians must then develop workflows that work best for them. The only way to do this effectively is to attend a wide range of different lectures. The ADI Team Congress is perfect for this, allowing delegates to gain knowledge and different ideas of how to handle cases.

My father, who was a professor and dean of a dental school always told me, “We should always learn from other peoples’ mistakes and keep up to date with all the latest techniques.”

For more information, visit adi.org.uk n

about the author

Professor eddie Scher is a Visiting clinical Professor at the Prosthodontics and implant department, temple university, Philadelphia, uSa, and visiting Professor at university college cork dental School. He is also an Honorary Senior Lecturer in dental implantology, School of Health care Professions, university of Salford, uK, and lecturer at the eastman dental institute. Professor Scher is a Fellow and diplomate of the icoi, and was a director on its Board. He is also a founder member and past President of the association of dental implantology, uK, and served most recently as its scientific chairman 2011 – 2013. He was made an Honorary Life Member of the adi in 2013. He is the director of the osseointegrated Year course (now in its 30th year), and is the editor in chief of implant dentistry today. He is Scientific chairman of alpha omega uK. He has published extensively in refereed journals. He has been on the advisory Board at tel aviv dental School since 2012; and he was appointed a Governor of tel aviv university in 2016.

Christie & Co Dental Market Review 2024

A shift towards more a vibrant and competitive market landscape

Christie & Co’s Dental Market Review 2024 report offers a panoramic view of the UK dental business sector, spotlighting important areas, including sector ownership structures, evolving market dynamics, current pricing patterns, an assessment of the current appetite of banks to lend within the sector, and an extensive sentiment survey of over 35,000 dental professionals.

The UK dental market comprises approximately 12,344 dental practices, which is not dissimilar to figures in previous years. However, there has been a dynamic shift in ownership, with the top four groups now managing approximately 12.4% of all UK practices, a decrease of 0.6% from the previous year. The largest groups are mydentist with 532 practices, BUPA Dental with 389, PortmanDentex with 380, and Rodericks Dental Partners with 226.

The sector continues to be largely independent, with 65% of practices owned by independent single or dual practices, which underscores the resilience and entrepreneurial spirit within UK dentistry –despite the ongoing headwinds.

The rise in new ‘squat’ practice openings continued, made feasible by the 2020 changes to Use Classes Orders, reflects the sustained demand for private dentistry, which offers developers the flexibility to create future-proof practices without the need for an initial premium for goodwill.

Transaction volumes surged by 150% in agreed transactions and exchanges during the latter half of 2023, and a 29% decrease in transaction timelines, with the time taken from offer accepted to exchange moving from 283 days before 2023 to 201 days in 2023, results largely attributed to the volume and pace of corporate divestments.

Although corporate divestments were historically viewed with a certain stigma, the industry’s perspective has significantly evolved. These practices are now highly sought after, especially by independent, working Principals who bring valuable local insights and a commitment to nurturing the practices and their teams onsite.

Christie & Co noted that its deals completed at an average of 13% above asking price and there was a year-onyear increase in the overall number of offers received, which soared by over 80% to approximately 600 in the second half of 2023.

The appetite from the independent firsttime buyer and existing owner segment continues to recognise an even spread in demand for all practice types and revenue mix in 2024. Appetite for private or private-led mixed practices from small groups has remained consistent, at 38% of offers received in 2023 versus 54% of offers received in 2024.

Unsurprisingly, the rate of completed corporate transactions declined by 9.8% in 2023, and shifted dramatically away from practices where the leading income was derived from NHS. Offers for this type of practice (NHS mixed or fully NHS)

accounted for some 57% of offers, and in 2024 this has reduced to just 8%, with the balance of 92% of offers received focused on mixed private or fully private practices.

As market dynamics evolved in 2023, there was a noticeable shift towards increased cautiousness among corporate and group purchasers. This manifested in an enhanced reliance on deferred consideration in deal structuring – where an overly opportunistic 40% to 45% of the offer was deferred – serving as both a risk mitigation tool and a means for more effective capital allocation. This was seen in the market as both unsustainable and unfavourable.

In 2024, the market is witnessing a correction towards a more normalised deferment rate, with approximately 30% of the offer being deferred. This adjustment reflects a balanced approach to risk management and capital deployment, aligning more closely with buyer and seller expectations.

The market has undergone a constructive and healthy recalibration. Stability has been restored in pricing, signalling a new phase of equilibrium and resilience.

The once-wide valuation gap between group practices and single asset sites is narrowing. The premium paid for group dental practices, while still present, has diminished. This convergence signals a changing investor sentiment, where the arbitrage and uplift previously attributed to substantial EBITDA platforms are no longer as pronounced. Consequently, this trend is contributing to the erosion of multiples paid for single asset sites, as the valuation premium for groups becomes less distinct.

Christie & Co’s benchmarking data shows a stark increase in practice costs, with lab and materials accounting for approximately 15% of costs, heat and light accounting for approximately 1% and staffing accounting for approximately 18%.

In May 2024, Christie & Co reached out to over 35,000 dental professionals – including the largest corporates, medium-sized and smaller groups, and independent practice owners – to get their views on a range of topics. The results include:

Overall, more respondents feel positive about the sector than negative

Over half of respondents feel there has been an increase in patient demand for NHS dentistry

40% of respondents feel demand has increased for high-end elective treatments

General dentistry is perceived to be the likely core driver for private growth by those who work within it

Over 60% of respondents feel there will be an increase in Therapist-led NHS treatment

Over half of respondents feel the changes made to NHS dentistry in April 2024 is unlikely to facilitate the delivery of NHS dentistry

The majority of respondents feel dental service delivery will be improved as a consequence of the ORE (Overseas Registration Examination)

Over half of the professionals surveyed plan to either buy or sell a practice in the next three years

In a review of the finance landscape by Christie Finance, the report notes that the dental market continues to be a prime sector for lenders, with appetite remaining strong during 2023/2024 and 94% of banks foreseeing an increase in

lending appetite into the sector in the next 12 months.

Christie Finance has seen an increase in groups looking for alternative or additional lenders whose policies are more in line with their aspirations. Independent buyers have also had better opportunities to realise their dreams of owning a practice without being priced out of the market. Going forward, the finance broker expects improved access to finance to act as a driver for operators to invest in their practices, with more sustainable revenue levels giving confidence that return on investment can be achieved.

Joel Mannix, Head of Dental at Christie & Co, comments: “The dental market is already exhibiting signs of a significant uptick in activity, surpassing the previous year’s patterns. This early momentum suggests an optimistic outlook for the remainder of the year, underscoring a dynamic shift towards a more vibrant and competitive market landscape.”

To read the full Dental Market Review 2024 report, visit: christie.com/dental-market-review-2024/ n

Watch or listen to our interview with Joel on The Probe Dental Podcast, available here and on your preferred podcast platform: https://tinyurl.com/JoelMannix

The benefits of dual support are clear

An innovative dual approach to clinical technology and practice growth is positioning ClearCorrect as the aligner of choice for complex and multidisciplinary cases. The company’s advanced aligner design and efficient digital workflows have made it an increasingly popular choice for practitioners at all skill levels.

However, ClearCorrect’s focus extends beyond clinical support. The company has introduced groundbreaking business growth initiatives designed to support both associates and principals in expanding their practices while improving clinical skills.

Innovative aligner design

Among the most popular features of ClearCorrect aligners allowing users to take on more complex cases is the addition of posterior bite ramps and extended bevelled edges.

Bite ramps play a crucial role in correcting deep bites and facilitating posterior tooth movement. By incorporating posterior bite ramps, ClearCorrect has made it possible to achieve more efficient and predictable outcomes in challenging cases that previously might have been difficult to treat with clear aligners alone.

Complementing the posterior bite ramps are the extended bevelled engagers, another key innovation in ClearCorrect’s aligner design. They provide improved grip and force application, allowing for more precise tooth movements – invaluable in cases requiring significant rotations or complex shifts

apps put providers in sync Alongside advanced aligner design, ClearCorrect has taken strides in refining its digital ecosystem. Central to the company’s digital offering is the newly launched ClearCorrect Sync App, a powerful mobile platform that puts comprehensive case management at providers’ fingertips.

This intuitive application allows dentists to submit and oversee cases

directly from their smartphones and upload high-quality clinical images without the need for expensive DSLR cameras.

The latest version of ClearCorrect’s Doctor Portal, accessible through the Sync App, further enhances the digital workflow with features designed to allow collaboration on multidisciplinary cases.

Reflecting on the impact of these digital innovations, ClearCorrect marketing manager Caroline Cross said: “These advancements are designed to help clinicians fully leverage the capabilities of clear aligners, streamline their workflows, and enhance case management.

“The digital tools allow for more precise treatment planning and better visualisation of expected outcomes, especially for the complex cases.”

Focus on business growth

While ClearCorrect’s clinical and digital innovations are redefining treatment capabilities, the company recognises that true success for providers extends beyond the clinical. In line with its commitment to comprehensive support, ClearCorrect has introduced a groundbreaking business growth initiative designed to help providers flourish in the competitive clear aligner market.

At the heart of this business support strategy is SCALE, an innovative programme to help practices maximise their clear aligner potential.

This bespoke 90-day training programme focuses on developing the essential business and marketing skills needed to cultivate a thriving clear aligner practice.

SCALE combines personalised coaching with practical tools, offering a holistic approach to scaling clear aligner offerings within dental practices.

The SCALE programme is structured to guide providers through a comprehensive growth journey. In the initial phase, practices collaborate closely with ClearCorrect’s Practice Implementation Specialists to identify tailored strategies to meet the growing patient demand for aligner therapy.

This foundational stage is crucial in establishing a solid platform for sustained growth. As the programme progresses, the focus shifts to developing a customised growth plan, including strategies to effectively promote clear aligner services, optimise workflows, and boost case acceptance rates.

Throughout the 90-day programme, practices benefit from ongoing

support, including regular check-ins, performance tracking, and strategy refinement. By the programme’s conclusion, participating practices are well-equipped with the knowledge, tools, and confidence needed to significantly expand their clear aligner business and position themselves as leaders in their local markets.

Dental business growth specialist

Prav Solanki offers high praise for the initiative: “SCALE is a game-changer. It equips dentists with the business know-how necessary to grow their practices. I’ve seen practices double their case volume within just a few months of completing the programme.”

Becoming a ClearCorrect provider

ClearCorrect offers a comprehensive accreditation programme for clinicians taking their first steps into the world of clear aligners. Accreditation provides step-bystep guidance and support for progressing from basic to more complex cases.

Alternatively, more experienced providers can engage directly with ClearCorrect’s dedicated onboarding team, seasoned clinicians can immediately access tailored business support and advanced clinical resources.

To discover how ClearCorrect can transform your practice and elevate your clear aligner offering, visit www.clearcorrect-uk.com n

Tooth whitening: a bright idea?

Acommon desire for many patients is to achieve a whiter, brighter smile. In fact, a 2020 survey revealed that 22% of Brits would like to have their teeth professionally whitened. An attractive smile can have a big impact on a person’s social life, making it a popular cosmetic treatment sought out by a wide range of people. As such, it’s important that clinicians are able to offer patients the right solutions for them. Clinicians should be knowledgeable about any potential limitations or complications that patients should be aware of before proceeding with treatment, to help them make an informed decision about their care.

Causes of tooth staining

Discolouration can occur for many different reasons, with potential causes ranging from internal (intrinsic) to external (extrinsic) factors. The reasons for discolouration may have an impact on the patient’s desire to whiten their teeth, as well as the ability to reach the desired shade.

Intrinsic staining can be caused by factors like genetics, age (from worn enamel exposing yellow-coloured dentine), antibiotics, and non-vital discolouration. Additionally, some dental restorations, such as amalgam, can cause tooth staining. Extrinsic staining is usually caused by environmental factors like smoking, pigmented foods, and drinks including tea, coffee, and red wine.

the use and side effects of hydrogen peroxide

In the UK, the use of hydrogen peroxide (HP) for cosmetic purposes is very limited. It is illegal for tooth whitening products which contain more than 6% HP to be supplied or administered for cosmetic purposes. Further to this, tooth whitening products which contain 0.1%6% HP should not be available directly to consumers, and should only be provided by a registered dental professional. HP is associated with a number of side effects, particularly when used in high doses, or over a long period of time. Tooth sensitivity, for example, is experienced by 15-78% of patients who have had their teeth whitened using hydrogen peroxide. This common concern can cause patients unnecessary pain and, while it’s often temporary, might be an indicator of long-term issues. Other side effects of whitening using HP include gingival irritation, enamel softening, surface roughness, demineralisation, and cervical root resorption (when used for internal bleaching).

efficacy of HP in low doses

Because the use of HP in the UK is limited to less than 6%, it is important to consider how effective it is to use such a low dose. A 2004 study found that a 5% hydrogen peroxide solution was just as effective as a 25% solution at whitening teeth. However, to achieve the same results, the 5% solution would need to be used 12 times compared to just once with the 25% solution. This means that, to achieve the desired shade using a concentration of less than 6%, more treatments will be required. As such, patients may need to return to the practice on several occasions to complete their treatment, or be prescribed at-home tooth whitening to complete over a period of time.

What are the alternatives?

With the use of HP for tooth whitening restricted, it is sensible for clinicians to consider other options which produce a brighter smile for their patients without the negative side effects presented by hydrogen peroxide.

Phthalimido-peroxy-caproic acid (PAP) has emerged as a fantastic alternative for tooth brightening, and is likely to be the future of the cosmetic treatment modality. One study reported that PAP was nearly harmless to enamel, whereas HP would cause hypersensitivity and a burning sensation. Additionally, PAP had an equivalent effect to HP, but was fundamentally safer and more reliable.

The in-office brightening system, BRILLIANT Lumina from COLTENE is formulated with PAP. It offers patients tooth brightening without sensitivity, which is extremely gentle on the tooth structure, and it is very easy

Confidence and peace of mind

Dental practitioners are the natural leaders in the fight against mouth cancer. Perfectly positioned to monitor changes in their patients’ oral health, dentists are patients’ first port of call to detect oral cancer in its early stages. Over 8,864 new cases of mouth cancer are diagnosed in the UK every year, with more than 3,034 lives lost. As such, it’s important for clinicians to be vigilant, and assess all patients for mouth cancer at each appointment.

Monitoring at-risk patients

The number of people getting mouth cancer in the UK has increased by 34% in the last 10 years and, worryingly, over half of all mouth cancers are diagnosed in stage IV. At this advanced stage, the changes of survival are significantly reduced, highlighting the importance of early diagnosis.

In order to detect cancer in its early stages, clinicians must conduct thorough examinations at every appointment. Those who are most at-risk, who smoke, drink alcohol, and have HPV, should be monitored particularly closely, as their chances of developing mouth cancer are higher.

Further to this, for patients who are at high risk due to lifestyle factors, such as drinking or smoking, provide cessation advice and offer support to those who would like help with quitting.

the solution

Whilst it can be extremely difficult to detect oral cancer in its early stages, there is now a quick and easy solution which can be implemented during a routine health check-up. The BeVigilant™ OraFusion™ System from Vigilant Biosciences® offers clinicians a non-invasive pre-diagnostic test, aiding them in the early detection of oral cancer. The system helps to identify patients who are at a higher risk of oral cancer, therefore changing the course of the patient journey for earlier detection, less invasive treatment, and improved outcomes.

The BeVigilant™ OraFusion™ System is a chairside tool that provides clinicians a result in 15 minutes or less. It detects the biomarkers associated with oral cancer to provide a highly accurate risk assessment.

early-stage biomarkers

When an oral lesion is malignant, the cancerous cells produce certain proteinbased biomarkers. Vigilant Biosciences® has conducted extensive testing to isolate two distinct biomarkers of oral cancer in its early stages. As such, to enhance testing accuracy, the BeVigilant™ OraFusion™ System analyses the concentration of both biomarkers (p16 and EGFR), rather than a single biomarker.

In addition to this, the system takes into account clinical risk factors to provide the most comprehensive risk assessment possible. The device determines how various lifestyle factors may impact each patient’s risk of oral cancer. Factors taken into consideration include a patient’s age, gender, alcohol consumption, and tobacco use.

Non-invasive testing for widespread use

The non-invasive and fast nature of the device makes it suitable for use across the majority of patients. By offering BeVigilant™ OraFusion™ testing to your patients, it is easier to make treatment decisions with confidence. Instead of watching and waiting for symptoms to develop before referring, the device allows you to make informed decisions as early as possible about whether to escalate care, such as referring patients for specialist care.

to use. When prescribed by a dentist, the treatment can be provided by a dental therapist. Over 5000 treatments have already been performed with BRILLIANT Lumina, with no tooth sensitivity observed during or after the procedure. This makes BRILLIANT Lumina the ideal choice for patients who are hoping to achieve a naturally brighter smile. With so many patients looking to improve the appearance of their smile, offering a treatment which naturally brightens the teeth enables you to cater to their needs. Whilst many patients may assume that to reach their aspirations, aggressive tooth whitening or invasive restorative treatments may be required, leading to post-treatment sensitivity, it can be reassuring to offer a solution which makes comfort a priority. With PAP, your patients can enjoy all of the benefits of a naturally brighter smile, without the sensitivity that is traditionally expected from tooth whitening using HP. This will be refreshing news for clinicians and patients alike, who wish to achieve stunning results, without the use of harsh and heavily restricted chemicals. Naturally, PAP is the future, and now is the time to embark on this journey with your patients. For more on COLTENE, visit coltene.com, email info.uk@coltene.com or call 0800 254 5115. n

about the author Nicolas Coomber, ColteNe National account & Marketing Manager.

Further to this, the point-of-care test fits comfortably into a standard oral health assessment. This means that, rather than waiting for results from a laboratory, clinicians can get results and discuss next steps in one appointment. The information needed to escalate care is rapidly accessible, for faster and more effective treatment prospects.

Previously, dental practitioners faced uncertainty when addressing potential oral cancers, attempting to identify early signs or being forces to wait and see if lesions develop. Now, the BeVigilant™ OraFusion™ System offers the clarity to allows clinicians to make informed decisions, with the data-driven confidence to refer patients quickly and detect cancers early for the best patient outcomes.

With oral cancer becoming more prevalent, and with the rise in cases caused by HPV, it is more important than ever to be vigilant, and monitor every patient for signs. The BeVigilant™ OraFusion™ System makes oral cancer assessments simple, used alongside visual assessments to offer confidence and peace of mind.

For more details about the BeVigilant™ OraFusion™ System, visit totaltmj.co.uk/products/bevigilantorafusion, or email info@totaltmj.co.uk n

Flexible and collaborative – supporting progression and balance

At Rodericks Dental Partners, we understand that a fulfilling career in dentistry requires a balance of professional growth and personal well-being. Our commitment to a flexible and collaborative work environment allows our team members to thrive, both in their careers and personal lives.

Dr Payal Shah, a London-based dentist and clinical lead for four practices within the Rodericks Dental Partners group, has experienced the benefits of our supportive and flexible working culture firsthand. Since graduating in 2007, Payal has continued to advanced in her career with us.

“I would definitely recommend working for Rodericks Dental Partners,” Payal shares. “The best thing for me about working with the group is having my ideas or concerns really listened to by managers as well as head office.”

Our commitment to flexibility means that Payal, currently pregnant, has been able to adjust her work schedule to suit her needs. “There is flexibility, so I can choose to do smaller shifts rather than long days if I need to. I am currently pregnant and feel I have been well lookedafter and supported,” she says.

At Rodericks Dental Partners, we foster a collaborative and inclusive culture that encourages every team member to contribute their ideas and feel valued. Payal emphasizes the positive impact of this environment on her professional growth.

“There is a collaborative, inclusive and friendly culture. I feel I’ve grown in calibre since I joined,” Payal notes.

We believe that continuous learning and professional development are key to providing excellent patient care. Payal’s career progression is a testament to our investment in our team’s skills and education.

“Rodericks Dental Partners brought about an opportunity for me to be a foundation dental trainer, for which I then sought out and completed a postgraduate certificate in medical education,” Payal explains.

By offering a network of experienced professionals and a variety of courses, we ensure that our team members are wellequipped to advance in their careers. “They understand that investing

in the skills of the whole team, clinicians and staff, will provide a better working environment and better quality of care for patients,” Payal adds.

Rodericks Dental Partners is dedicated to creating a workplace where dental professionals can achieve their full potential. Our flexible working arrangements, collaborative culture and

commitment to professional development make us an ideal choice for those seeking a rewarding career in dentistry.

If you’re passionate about dentistry and looking for an environment that supports your professional growth and personal well-being, consider joining Rodericks Dental Partners. For more information about working with us, contact our team today. To find out more about what it’s like to work with Rodericks Dental Partners and to discuss current vacancies, you can visit rodericksdentalpartners.co.uk/careers n

For dry mouth – when just water is not enough

New

1 in 5 suffer from dry mouth, and water is usually the standard remedy. But for many people, water only provides brief relief.

TePe’s new hydrating mouthwash and mouth gel ease the feeling of dry mouth, provides comfort, and protects teeth. We recommend the gentle, unflavoured products for those with a very dry mouth and mildly flavoured products for those with moderate problems.

TePe® Hydrating Mouthwash - TePe’s mouthwash moistens the mucosa and leaves a pleasant feeling in the mouth. Not only does it help with dry mouth, but the added 0.2 % fluoride also gives that extra protection against caries.

TePe® Hydrating Mouth Gel - TePe mouth gel gives immediate and long-lasting comfort*, moistens and soothes the oral mucosa and is convenient and easy to use whenever needed – great for on-the-go. Available from

The complexities presented by osteoporosis

Apical periodontitis is an inflammatory disease caused by infection of the pulp chamber, and leads to the loss of periapical bone. It exists as a local infection, with pathogens in periapical tissues entering the blood stream and triggering immune responses and leading to systemic disease. Therefore, it is likely that periapical disease is linked to systemic illnesses. This may include osteoporosis, with the prevalence of apical periodontitis significantly higher in osteoporotic patients.

osteoporosis and periapical infections

Apical periodontitis has a prevalence of 50% in patients under 50, with research suggesting risk increases with age. It is the same with bone pathologies, such as osteoporosis. Some research also suggests that osteoporosis may lead to an increased incidence of apical periodontitis. Common in post-menopausal patients with low oestrogen levels, bones become more fragile. Therefore, osteoporosis decreases the total skeletal mass, including that of the jaw bone, leading to decreased alveolar bone density and height of the alveolar ridge. This may also lead to tooth loss. Because of these links, commonly patients presenting with apical periodontitis are also being treated with antiresorptive medications for osteoporosis. Research suggests that, worryingly, those being

treated with this type of medication are more likely to develop osteonecrosis of the jaw when they undergo procedures like dental extractions and implant placement. As such, it is important to explore other treatment options for these patients, to help reduce the risk.

root canal treatment as a favourable procedure

Research suggests that half of the adult population worldwide has at least one tooth with an apical periodontitis diagnosis. To reduce the risk of the spread of infection to other areas, there are a number of treatment options offered to patients. These are: retain the tooth with root canal treatment, or extract the tooth with or without a replacement.

Root canal treatment, therefore, can be considered a viable option for the treatment of apical periodontitis in patients being medicated for osteoporosis. However, it’s important to consider carefully the patient’s unique circumstances, and the clinician’s own ability to remove infected tissue from the root canal in a non-invasive and nonsurgical way. Current research suggests the tooth survival rate in cases like this is 85%, with a 74% 12-month healing rate. However, the greatest clinical benefit of providing endodontic treatment in these cases is the minimised risk of medicationrelated osteonecrosis of the jaw (MRONJ), making it the favourable treatment option for patients with osteoporosis.

As with any case, clinicians should ensure they comprehensively record each patient’s medical history to enable them to make informed decisions about their care. Additionally, clinicians should use this information to decide whether to consult with a specialist in the field, and which treatment approach is most appropriate for the individual.

Building a network

By becoming a member of the British Endodontic Society (BES), clinicians who have an interest in endodontics become a part of a likeminded community. The BES is passionate about promoting education in the field, and sharing research to help its membership and those who provide endodontic treatment offer their patients the best outcomes. The Society hosts educational and social events every year, bringing together its members to share their knowledge and experiences, and to network in fantastic venues across the country.

By joining a network of clinicians with an interest in endodontics, as well as specialists, those who may require consultation on certain cases which are more challenging, or who require referral to a specialist, have contacts who are willing and able to help. This community can also act as a supportive environment, helping those who are new to the field to grow their careers and expand their knowledge. Osteoporosis presents unique challenges when a patient develops apical periodontitis.

As such, it is important to understand the treatment options available in such cases, and why root canal treatment is usually the preferred avenue. Clinicians must then be aware of the complexities surrounding medication, and how to manage these cases in a non-invasive way. Further, clinicians should consider the difficulty of each individual case, and carefully consider whether it is appropriate to treat the patient themselves, or whether to refer to a specialist for care.

For more information about the BES, or to join, please visit www.britishendodonticsociety.org.uk or call 07762945847 n

Step into teaching by building excellent facilities

Career progression is an essential aspect of dentistry today. Clinicians have a number of options when it comes to advancing their skills, diversifying their workload and increasing their earning potential. Those who are drawn to teaching and mentoring enjoy highly rewarding career development, while also gaining the satisfaction of guiding peers in their own professional journeys. To offer the highest quality teaching, it is important to create an excellent training environment.

personally rewarding

There are many advantages available when an individual decides to teach others and share their expertise. Firstly, it allows clinicians to diversify within the professional setting, exposing them to new people and situations. Another benefit is the increased job and personal satisfaction that is afforded by sharing one’s knowledge with others. Most dentists who get into teaching, lecturing or mentoring do so because they want to help shape the future generation of dentists within their chosen discipline. It is likely for these reasons that teaching is generally considered one of the most fulfilling career choices a person can make.

Another benefit of teaching is that it supports learning and development of the instructor, as well as the learner. Those in a position to mentor others will often have a significant amount of clinical experience

and expertise, but interacting with new people will often ignite new discussions that further everyone’s understanding and perspectives on a subject. Peer teaching has been shown to help instructors consolidate knowledge and accelerate their own learning journey. Not to mention that moving into teaching can also offer career progression and boost income too.

Creating quality

For those who create courses and/or present training to peers, there are several factors that contribute to the quality of education delivered. The content and delivery of the course are two of the most important. Not only must relevant topics be covered in sufficient detail for the audience, but this must also be achieved in the most appropriate way.

For example, the benefits of hands-on training have long been accepted and utilised across healthcare. Studies have also demonstrated a preference for practical learning styles specifically among dental students around the globe. Group size and structure has an impact too, especially within a collaborative learning environment. For instance, both a dyad (two people working directly together) and quad (groups of four) approach leads to good learning outcomes, with dyad learning linked to slightly higher peer engagement and communication. There is also evidence to suggest that smaller overall group sizes are conducive to an enhanced learning experience for delegates.

excellent teaching needs excellent facilities

Everything from the psychological to the social, cultural and physical settings should be considered in order to motivate delegates and support their learning. The aforementioned opportunity for hands-on experience and engagement with colleagues and instructors are crucial. So too is the development of positive relationships and rapport between teacher and learner.

Another important consideration is the physical environment. Training providers seeking to deliver world-class teaching need world-class training facilities to match. Research suggests that the quality of educational surroundings can influence student outcomes like achievement. There is also evidence to show that students pay attention to various details of their learning environment from the aesthetics of the room to the comfort of their working area and visibility of the lecturer or live demonstrations. Consequently, it is crucial to consider the design and layout of your training areas so that they may encourage collaboration and engagement among delegates and between delegates and instructors. If offering live surgery demonstrations or observational cases, it is equally as important to install the necessary video and display technology to allow all participants to watch with ease. Similarly, you’ll want colleagues to have access to leading equipment and materials so that they may learn new techniques with the best tools in the market.

The arrangement of furniture and dental equipment must also contribute to the overall aesthetics of the environment. Everything from equipment layout to lighting must be optimised for the most comfortable experience. For the best results, it can be hugely beneficial to work with experts in the field who really understand the needs of a modern dental professional training facility. RPA Dental is one such provider of world-class equipment, furniture and design support. The team has unrivalled knowledge of what it takes to build a state-of-the-art pedagogical environment, helping you create a stunning space in which to teach any number of technical or clinical skills to colleagues and students. If you are stepping into a teaching role, or looking to present your own training courses, there is plenty for you to gain from the experience. To enrich colleagues’ learning and ensure the highest quality education, be sure to consider the course format, design and environment carefully. For more detail about the solutions and services available from RPA Dental, please visit www.dental-equipment.co.uk, call 08000 933 975 or email info@rpadental.net n

the author

Make marvellous mistakes

“Enjoy failure and learn from it. You can never learn from success.”
- James Dyson

At my daughter’s primary school, the teachers actively encourage making mistakes to take away the stigma attached to ‘getting things wrong’, to use each error as a learning opportunity and, of course, to understand how to make things better next time, even if it’s not always right. Termed ‘marvellous mistakes,’ we can learn a lot from this positive culture. The most famous and public celebration of a series of errors is probably by James Dyson, when he set out to create the world’s first bag-free vacuum cleaner. 5126 ‘failures’, four years and considerable debt later, the first successful Dyson was launched. James Dyson didn’t actually see the discarded models as failures –each one was a platform for learning, a springboard to something better. They were his prototypes that showed him how and where improvements could be made. Each one gave him the information he needed to progress and continue.

Regular readers will know I am a Kaizen devotee but what better example of incremental improvement can there be than an invention that constantly moves towards its intended version through a series (albeit thousands) of evolutions. Such a developmental journey shows the passion, commitment and belief in the process. Kaizen is a Japanese approach used widely in business across the world. One aspect of Kaizen that I admire is its clever system of knowledge sharing. Temporary teams work together, problem-solve and bring about positive change. The teams

DENTISTRY TODAY

then disband and join other teams, and do the same again within new sectors facing different challenges. They actively develop talent in their teams that are agile and can move within other areas of the organisations, and do great things. This couldn’t work unless the teams are supported to try, ‘fail’, improve, fix and succeed – however many times that might take. It’s so inspirational and refreshing. Losing the blame culture in all workplace and training environments underpins this idea and leads to innovation through confidence and bravery. Replacing it with a can-do approach applies to learning new skills, trialling ground-breaking technology and absorbing new ways of teaching. As dentists, we can’t practice on patients, of

course, but we can be open to learning and honing new skills outside of our clinics. We will make mistakes along the way, but they are stepping stones to greater things.

As dentists, we are always learning. Eighteen years into my career, I regularly attend training courses, study groups and continue to learn from world-renowned endodontists. I absorb the tips and techniques that refine my protocols in day-to-day surgery. I learn from their mistakes, and I’m proud that my students can learn from mine. When I’m training young dentists in endodontics, I actively encourage everyone to share experiences, good and bad. I share my own. That has become easier as I’ve grown in confidence. Just as it takes some inner

strength to recognise your mistakes, it also takes considerable effort to share them (and your pain) publicly! As with my child’s education, such anecdotes make for excellent learning opportunities. We all know the relief of knowing when we’re not the only ones having experienced a particular situation. Creating safe spaces to talk about challenging cases or issues is key to using mistakes as ways to learn. Operating within a non-judgemental environment will empower people to ask questions, including those that might be considered basic or obvious. Opening up and making sure that you are all coming from a place of support, kindness and understanding will achieve a workplace or training environment where so much more is achieved – and much more progress made. I hope you make and use some marvellous mistakes today. n

About the author Dr Dhiraj Arora has two dental practices in Twickenham and Gerards Cross. He is also a Dental foundation Training educational supervisor for Health education england, Honorary Lecturer in endodontics at QMUL Masters programme, and runs his own courses via evo endo in Central London for general dentists. His background spans nHs and private settings, from Harley street to community HealthCare.

Corporate closures: a personal view

My father’s best friend was a dentist. Sydney Arthur Lewis, known to everyone as Bill or Mr Lewis, owned a practice in Cathays Terrace, Cardiff. He worked all the long hours that were required to care for his many patients. Bill was a proud man; he didn’t own a car and chose to take the bus from outside the practice to his home.

Bill encouraged my dental career and amongst the many wise things he said to me about success is something I share with clients to this day: “Same place. Same face”.

The meaning is that patients, like us all, get unsettled by change. We all like to deal with people we know, like and

trust. They want to know something about the person who is at the blunt end of the sharp instruments.

In addition to the brass plate with his name and qualifications, there was another sign outside the practice: “Templar Malins Ltd”. This signified that his was one of the few remaining Dental Body Corporates (DBC). In the wake of the establishment of the NHS, under the 1955 Dentist’s Bill, new DBCs were prohibited, leaving just 74 DBCs listed. This had fallen to 27 by 2002, when they became legal again. Another amendment to the Dentists Act in 2005 removed key restrictions, including the need for GDC approval to be set up. I gather Bill’s successor in ownership benefited from the brief period of intense price inflation that accompanied demand for an established DBC before relaxation of the law led to the current free market.

My brother is an academic, a retired professor of medicine and a world expert on his subject. He relies on others for advice on those areas of his life that he finds a distraction from his research and writing. He was fortunate for many years to have an ad-hoc arrangement for care with a dental

colleague whose department shared the same university building. When the colleague retired, it fell to me to find him a good local dentist, which I did, and we were both very happy with the care he received.

When the practice owner sold to a corporate, they stayed on as a clinician and nothing changed. Their subsequent retirement was well deserved and there were some changes to clinical staff but my brother was happy with his continuing care, as was I.

Last week, I heard a rumour that the practice was to close. I spoke to my brother but he had heard nothing. The rumour proved correct and, at the time of writing, he has exchanged emails with the practice manager who confirms that with fewer than 14 days’ notice the business is to close its doors. The reason given is: “Challenges in market conditions mean we cannot continue to operate successfully as a small practice.”

How small is too small?

How bad is bad management?

The nameless corporate has just merged with another, with what appears to be a culling of directors. At the time

of writing, their old website is still encouraging new patients to join the practice, which will close in eight days. Concerns that the BDA and the profession once had regarding corporate bodies were summed up as: “…dental companies were generally run by laymen for their profit…”. By 1999 the BDA had changed its mind and supported entrants into the corporate field, although it did show concerns that the GDC should have more effective mechanisms to regulate corporates as “existing procedures did not allow robust control of professional practice…” The GDC is supposed to keep a register of corporate bodies but how they go about regulation is not clear; I feel they have neither the will, nor the way, to be anything other than spectators, like the rest of us. They can, and continue to, pick on individuals, but are unable to control big business. Patients have little choice but to put their money where the mouths are until told that they are not profitable enough and must find somewhere else. My brother, with my help, has done so. It’s such a shame but no better time to start a squat! n

An exciting development opportunity for early career dentists at Clyde Munro!

Unique to Clyde Munro, the Flying Start Programme provides an unparalleled level of support to dentists in the early stages of their career. It demonstrates the exceptional investment the group makes in its professional teams in order to ensure excellent patient care. This year, participating dentists have an exclusive opportunity to join a behind-the-scenes tour with leading digital dental supplier, Dentsply Sirona.

Investing in dentists and the future of patient care

Commenting on why this investment in early career dentists is so important to Clyde Munro, Jim Hall – Chief Executive Officer and Founder – said:

“The future oral health of our patients depends on us giving them the best possible care. The only way we can do this is by making sure that Clyde Munro dentists, particularly those in the early stage

of their career, receive the right training and development opportunities, together with ongoing clinical support. This also gives clinicians the best possible start in what we hope will be a long and successful career.

“At Clyde Munro, we make sure that our young dentists get access to the training and support they need to fully utilise the new digital technology we have invested in across our practices. Digital solutions replace various traditional dental processes, making treatment more comfortable for the patient, more effective, more efficient and better for the environment. Technology also makes the sharing of information easier, enhancing collaboration between clinicians for improved patient care and better professional mentoring and coaching relationships.”

The Flying Start Programme is structured specifically to meet these and the other needs of dentists in their first few years after qualification. It covers a range of relevant topics, from the application of the latest digital and AI (artificial intelligence) tools, the management of tooth wear, dental trauma, and non-clinical subjects such as communications skills and sustainability in dentistry. There is also a spotlight on mental health and wellbeing, helping individuals to take care of themselves while caring for their patients. The course is constantly being reviewed and improved

based on feedback from delegates, highly experienced dentists in the group and external sources. Advancements within the digital world are also considered so as to appropriately align the programme with the absolute latest digital developments.

A

new one-of-a-kind opportunity

To ensure the very latest digital equipment is used in training and in practice, Clyde Munro collaborates with industry leading companies, particularly Dentsply Sirona. This partnership has also created an exciting new opportunity for dentists taking part in this year’s Flying Start programme, as Jim explains:

“We are proud to be recognised as the leading digital dental group in Europe – we understand that embracing technology is crucial for the current and future provision of high-quality dentistry. This passion for digital dentistry led us to extend our partnership with Dentsply Sirona, who already supplies our digital scanners and we are thrilled to be taking the dentists on this year’s Flying Start Programme to tour the Dentsply Sirona R&D/manufacturing facility in Germany.

“This is a fantastic chance to view the future of dentistry and the very latest developments in dental equipment. To achieve this so early in their careers is particularly beneficial, providing a unique

insight of how they can deliver the very best patient care in the future. They will be able to hear direct from the experts at Dentsply Sirona, ask their own questions and meet the people who are driving technological change in our profession.

“It will be a very special event for our dentists and I hope that it creates a real sense of excitement for the future of dentistry. I also hope they leave feeling confident that Clyde Munro will help them in every possible way to become all that they can be as dentists, through training and education, access to the latest technology and experienced clinical support.”

A network of like-minded clinicians

The Flying Start Programme is much more than a chance to be exposed to cuttingedge digital technology and advanced clinical skills. It also provides a community of dentists all in their early career years, who share many of the same concerns, challenges and ambitions. Jim adds:

“Spending time together on this course throughout the year enables our early career dentists to generate networks between like-minded people to support them, both socially and professionally, allowing them to connect with people across Scotland.”

Find out more about the career opportunities and vacancies available with Clyde Munro today at careers.clydemunrodental.com. 

Jim Hall

Team meetings

Are your meetings filled with highstakes decisions and dramatic moments? Or is it more about the fast pace and unexpected twists? Or maybe they are painfully quiet, and you feel like you are treading on eggshells. As practice managers and owners, we all know that meetings can feel like we are stepping into hostile territory – we often dread them, but we know they’re necessary to keep everything running smoothly. So, let’s look at how we get through this with as little pain as possible and maybe even a few laughs along the way.

Dental practice meetings can face several common challenges. Here are a few:

1. Lack of engagement

Team members may feel meetings are unproductive or irrelevant, leading to disengagement. This can be due to repetitive agendas or lack of interactive elements of the meeting setup.

2. Time constraints

Finding a suitable time for everyone can be difficult, especially in a busy practice. Meetings may be rushed or frequently rescheduled, reducing their effectiveness.

3. Communication barriers

Miscommunication or lack of open dialogue can hinder the flow of ideas and feedback. This can result in unresolved issues and a lack of team cohesion.

4. Conflict and tension

Differences in opinions or unresolved conflicts can create tension during meetings. This

can make it challenging to have productive discussions and reach consensus.

5. Lack of clear objectives

Without a clear agenda or goals, meetings can become unfocused and drift off-topic. This can lead to wasted time and frustration among team members.

6. resistance to change

Some team members may be resistant to new ideas or changes in procedure. This can slow down the implementation of improvements and innovations.

7. Technical issues

How we present these meetings is important and use of PowerPoint or similar tools needs to be checked and effective.

Looking for a job?

Up until now, BADN have not advertised job vacancies on our website or on our social media – but, following increasing demand, we have now decided to include a Jobs Ad page on our website. It will be a dedicated webpage, not pop-ups (which can be very annoying!), and pricing will be competitive. Vacancies can be advertised for 14 or 28 days, or longer, and prices are considerably lower for advertisers who employ BADN member dental nurses.

Details on how to advertise are available on the website www.badn.org.uk or from jacek@badn.org.uk.

BADN is, itself, looking to recruit new members for its Panel of Representatives. Applicants must be current BADN members, registered with the GDC as a dental nurse, and represent a specific geographical area (e.g. Wales, Northern Ireland, North West England, etc.) or a specific area of dentistry (endodontics, periodontics, etc.). The role of the Panel members is to act as a conduit between the BADN Executive Committee, dental nurses working in their specific area, and any other bodies in that area to provide articles for the journal/website/ other publications on their specific area, as well as to provide input on documents

circulated for consultation. They will also be active on social media, promote BADN, and to attend a monthly online meeting with the President. Members are appointed by the Executive Committee and applications should be send to me at pam@badn.org.uk for consideration by the Exec. Information on current Panel members can be found at www.badn.org.uk.

We are delighted to welcome Brittany Pittham and Sally Khawaja to the BADN Panel of Representatives and look forward to working with both of them (see page 6).

Dentistry show London

BADN will have a stand at Dentistry Show London (F17), which will be manned by outgoing President Joan Hatchard, incoming President Preetee Hylton, IT admin Jacek Drozdek and me. In addition, Preetee and I will be speaking on bullying in the workplace – some of the myths around bullying, what it is, why you might be being bullied without realising it, how to recognise it – in the Dental Care Professionals Hub at 10:45 on Friday 4 October 2024.

BADn Annual General Meeting

The BADN AGM will be held at Dentistry Show, London on Saturday 5 October 2024 at 11am. All current BADN members are welcome to attend, in

If meetings are held virtually, technical difficulties such as poor internet connection or unfamiliarity with the software can disrupt the flow of the meeting.

Addressing these challenges involves careful planning, fostering a positive and open environment, and ensuring that meetings are structured and purposeful.

Here are some tips on creating an effective meeting structure:

Set clear objectives: Start the meeting by stating the main goals. This helps keep everyone focused on the primary agenda.

Gently redirect: Politely steer the conversation back on track. You can say something like, “That’s an interesting point, but let’s get back to our main topic.”

Assign a timekeeper: Have someone monitor the time and gently remind the

group if discussions are straying too far from the agenda.

Summarise and refocus: Periodically summarise the discussion and refocus on the agenda. This helps reinforce the meeting’s objectives.

Limit meeting length: Shorter meetings can naturally reduce the likelihood of tangents. People tend to stay more focused when they know the meeting is brief. However, trying to cram an important and full agenda into a quick 30 minutes will not suffice or have the team invested.

Encourage preparation: Ask participants to come prepared with their points. This can help keep discussions concise and relevant.

Lastly, please be clear on how you are going to recompense your team’s time if you are holding it over a lunch, end of day or before their working day starts. They should be paid or have time back. Many owners worry about using ‘earning time’ from the diary and, as a manager that understands the cost of those, I totally get it. However, the team often doesn’t and feel that their time is valued as less important, resulting in instant disengagement. Work together to create positive meetings that benefit everyone! n

person or online, and registration is via the BADN website. The Agenda and supporting documents will be available shortly in the members only section of the website.

The AGM will also include the Inauguration of new President Preetee Hylton, who will then chair the AGM.

BADn Workplace Abuse survey

This survey has now closed. A quick look at the responses show that:

• 61% of respondents have been verbally abused by a colleague in the last five years

• 9% of respondents have been physically abused or assaulted by a colleague in the last five years

• 60% of respondents have been verbally abused by a patient in the last five years

• 9% of respondents have been physically abused or assaulted by a patient in the last five years

• 38% of respondents were working in a mixed general dental practice when the abuse took place; 21% in NHS general practice; 22% in private practice; and 8% in community/ secondary care

A full report on the survey will be issued by BADN shortly. n

About the author Lisa Bainham is president at ADAM and practice management coach at practice Management Matters. About the author pam swain is Chief executive of BADn

Sue Bruckel

It is with deep regret that BADN learned of the death of Sue Bruckel, BADN President 2009-11, in late August. At Sue’s request, donations to Sue Ryder may be made in lieu of flowers.

Perio plus for targeted care where it’s needed most

Whilst supplementary oral hygiene steps are not always required for patients’ daily routines, sometimes patients need a little extra help to maintain their periodontal health. In these situations, it’s important to recommend products which include high-quality ingredients that offer targeted care.

Perio plus mouthwash range from Curaprox is designed for either shortor long-term use, depending on the patient’s situation, to help manage acute problems. For example, Perio plus can be used following invasive procedures like extractions and dental implant treatment to reduce the risk of infections. It is also ideal for temporary use when patients have caries, gingivitis, periodontitis, and peri-implant diseases.

So, what ingredients are included in Perio plus mouthwashes? And, what are the benefits these offer patients?

The perio plus superhero ingredients

Perio plus mouthwashes contain a range of key active ingredients to support patients’ oral health. These include:

• Varying levels of chlorhexidine for an antibacterial effect

• CITROX®/P – a natural bioflavonoid combined with polylysine amino acids

• Xylitol – tastes great, protects against caries, and supports strong teeth

• PVP/VA – produces a protective film over teeth

long-lasting effects. Not only this, but CITROX® is strong, making it less prone to bacterial resistance and enabling it to protect the mouth against the re-infiltration of bacteria. Further to this, CITROX® is non-toxic, non-corrosive, non-carcinogenic, and non-allergenic, making it suitable for the majority of patients who need additional help with their oral hygiene. Plus, it’s dermatologically tested, biodegradable, safe, and eco-friendly.

When can cITrox® help patients?

CITROX® offers a range of healing and protective benefits when included in oral hygiene products.

As such, it’s ideal:

• Before and after oral surgery

• Against periodontal disease

• Against candida infections

• Combined with chlorhexidine for enhanced protection

When a patient could benefit from supplementary oral hygiene products, recommend the Perio plus range to help them protect their mouth and reduce the risk of infection.

choose perio plus for patient compliance

Perio plus is easy and fast for patients to use, making it perfect for reducing bacteria in the mouth when they’ve undergone oral surgery or are experiencing oral diseases and inflammation. In addition to this, patients are highly likely to comply with the use of Perio plus mouthwashes because they:

CITROX®, a natural ingredient extracted from bitter oranges, is a bioflavonoid which aids in healing and is effective against dangerous pathogens such as MRSA, C. Difficile, Hepatitis A, Hepatitis B, and Streptococcus. Chlorhexidine had been used in dentistry for almost 70 years, thanks to its powerful antibacterial effect. When it’s combined with chlorhexidine, CITROX® can protect the mouth against a wide range of bacteria which cause oral diseases like caries and periodontitis.

CITROX® quickly and efficiently breaks down bacterial biofilm, allowing it to act fast and offer

• Provide protection against a wide range of bacteria

• Eradicate biofilm quickly and protect against its regrowth

• Have a pleasant taste and minimal side effects

perio plus when it’s needed

Usually, for many patients, twice daily tooth brushing and once daily interdental cleaning are sufficient for maintaining oral hygiene and removing biofilm. However, when patients are undergoing dental treatments, have infections, or have caries, additional oral hygiene supplements can help to maintain their oral health.

Therefore, be sure to recommend the right Perio plus mouthwash to each patient depending on their unique situation. Perio plus Forte is the strongest in the range, with a chlorhexidine concentration of 0.2%, recommended for use before and after invasive dental procedures. Regenerate is recommended for comprehensive protection against gum and implant-related issues, with a chlorhexidine concentration of 0.09%. Finally, Balance is

designed for occasional use to offer protection against plaque, ideal for patients undergoing orthodontic treatment, containing the lowest concentration of 0.05% chlorhexidine.

Recommend Perio plus products to your patients who need an extra oral hygiene boost.

For more information, please visit www.curaprox.co.uk and www.curaden.co.uk n

AWARDS

National Smile Month Award Winner: CDS Oral Health Improvement Team THE DENTAL AWARDS 2024

An interview with Jenny Baitup, CDS’s Strategic Oral Health Lead

Community Dental Service CIC (CDS)’s Oral Health Improvement team took home the trophy for Best National Smile Month Initiative, in association with the Oral Health Foundation, at the 2024 Dental Awards.

We caught up with Jenny Baitup, CDS’s Strategic Oral Health Lead, to discuss the team’s victory, their varied programme of oral health initiatives, and to find out more about the employee-owned social enterprise.

Tell us about CDS.

Community Dental Services CIC (CDS) is an employeeowned social enterprise and referral-only dental service, providing special care, paediatric dental care, and oral health improvement across much of the East of England and the East Midlands. CDS brings dental care to people who cannot easily be treated in general dental practice; our patients typically have learning disabilities, mental health issues or severe anxiety. We also do a lot of prevention work and that is where the Oral Health Improvement (OHI) teams come in.

What did you do during National Smile Month 2023?

The OHI team, of 13 employees working across five counties, supported and promoted National Smile Month’s theme, ‘Brush for Better Health,’ through events, training and social media, looking to get everyone smiling.

We organised attendance at conferences, children’s centres, libraries, supermarkets and hospitals. We ran competitions, worked with schools and councils, and even had support from the RAF Red Arrows! This is on top of the

routine work we do in schools on Supervised Toothbrushing and with care staff supporting vulnerable elderly and others to understand more about better oral health.

How successful were your activities?

Through attending an Early Years conference, we engaged with over 200 EY practitioners.

We engaged with 57 families at children’s centres, where we ran games and activities to promote looking after one’s teeth, and presented sessions delivering key oral health messages and information.

We promoted National Smile Month at 21 events, joining library rhyme time events, baby groups and pop-up events, engaging with 429 people/families/professionals.

Over the month, we trained 5.200 people, which directly impacted over 13,000 people.

We reached even more through events and social media, with 20 posts across CDS’s social media accounts reaching over 63,130 people.

How were the activities received by young people?

Focusing on children’s oral health, we ran successful, high-participation competitions in partnership with Oxfordshire County Council (OCC) and Lincolnshire County Council (LCC).

Oxfordshire early year settings were tasked with completing an oral health bingo board, which consisted of 16 oral health-related activities. Settings crossed off completed activities and provided evidence. The winner and two runners-up received fantastic surprises (teeth puppet, toothbrushes, books) from the Oral Health Foundation, kindly funded by OCC’s EYFS team.

Lincolnshire children aged 5-11yrs were encouraged to design a poster promoting oral health messages to children across the county. Run in collaboration with LCC’s public health team and backed by Councillors, we made the competition more engaging by linking with the RAF Red Arrows and their PR team, who agreed to not only choose the winning poster but offered to meet the winner for a special fly past.

The winning poster has since been professionally reproduced and shared across all 391 Lincolnshire

primary schools, Lincolnshire children’s centres, family hubs and clinics. Stickers featuring the winning and runner-up designs have also been produced, and are used by our OHI teams at community events. Designed by children, it will inform and enable children to take charge of their own oral health to enhance lives and general health.

How did it feel to win the National Smile Month Award?

Covering Essex, Lincolnshire, Norfolk & Waveney, Nottinghamshire and Oxfordshire, the CDS OHI team received the award for a programme of events and initiatives during National Smile Month 2023, which empowered people to take control of their oral health to enhance lives and general health.

It was an honour to receive the award on behalf of the whole OHI team. It is always nice to be recognised for the work and effort every single member of the team puts into the campaigns we promote, not only in our own areas where we work but across the company. It was lovely to meet the other winners and hear about the fantastic work that goes on in other areas and to celebrate each other.

Why is National Smile Month so important?

National Smile Month is incredibly important; it is such a fun campaign to promote, and it targets the whole population. It is widely recognised and promoted not just by dental teams, but children’s centres, care homes, nurseries and schools all like to get involved. It is a great platform to highlight the key messages for prevention, which we promote all year round, and it sets up many partners with the messages to promote for the rest of the year. It is the perfect time to promote school readiness for those children preparing for the September start.

Did you build upon last year’s National Smile Month activities this year?

This year, like every year, we targeted as many groups as we could with activities, social media and training, and some of our teams ran competitions and hosted their own events. It has proved to be yet another successful campaign reaching many vulnerable people. 

Competition winner, Sofia, age 8, proudly shows her oral health poster to her peers
Jenny Baitup, Strategic Oral Health Lead, and Jane Johnson, Oral Health Improvement Manager at CDS Lincolnshire, collect the award for Best National Smile Month Initiative
The RAF Red Arrows supported the CDS National Smile Month award-winning activities

A successful single anterior tooth restoration

Whether it’s just a single tooth, all the way up to a full mouth reconstruction, d r Kevin Huynh takes a keen interest in highly aesthetic and functional dentistry. Here, he describes the restoration of a broken upper right central incisor

Patient background

The patient previously attended regularly with a colleague who has now retired, and I saw him for the first time as an emergency appointment. He presented with a broken upper right central incisor; he couldn’t remember how it broke, but his records showed that the tooth was last restored in 2015. Overall, his oral health was adequate, with a mildly restored dentition, notable attrition, and mild anterior crowding.

assessment and diagnosis

The occlusion was checked, and it was noted that the UR1 was slightly palatally tilted and, in protrusive and lateral excursions, there was sufficient space to place a direct composite restoration to recreate the correct height and bring the facial surface into alignment with the UL1. A simple visual assessment of the tooth made it clear that the previous restoration had only been bonded to the incisal edge, as there was no evidence

Fig 13 Immediate Post-OpContraster
14 Immediate Post Op - Front
Fig 1 Before - Contraster
Fig 2 Before - Front
Fig 3 Before - Side Fig 4 Composite for palatal shellputty index
Fig 5 Rubber Dam - Coltene HySolate
Fig 6 Air Abrasion, Acid Etch
Fig 7 Palatal Shell - BL Trans
Fig 8 Proximal Walls - BL Trans
Fig 9 Body Shade - Mask the Join Fig 10 Blue Miris Tint - Diffuse Layer Fig 11 Enamel Layer - BL Trans
Fig 12 Trim, Polish
Fig 17 2 Week Review - Front

of bevelling or bonding on the facial surface. Vitality testing was completed and the UR1 was consistently positive to Endo-Frost (Coltene), with no pocketing or tenderness.

treatment planning

Treatment options from very simple to more complex were discussed. These included a single tooth restoration, which would be challenging to match perfectly to the neighbouring tooth, as well as orthodontic treatment to address the anterior crowding followed by aesthetic composite restorations to restore the worn anterior teeth. The patient was not interested in anything beyond a single tooth repair, so a composite restoration was agreed. The patient also expressed that he was keen to have the facial surface brought into alignment and, since this would also increase the restoration’s overall strength, I was happy to oblige.

treatment provision

• The tooth was isolated using the HySolate rubber dam (Coltene), extending to the premolars to ensure there was sufficient space to reach the UR1 unimpeded. Excellent retraction and moisture control was achieved thanks to the heavy latex HySolate dam.

• The enamel was bevelled for the sake of aesthetic blending, air abrasion was carried out with a micro-etcher to remove any biofilm (neighbouring teeth were protected with mylar strips), and etched for 30 seconds with 37% orthophosphoric acid. The tooth was then rinsed for over 60 seconds to ensure the clearance of any precipitates for the etching process.

• One Coat 7 Universal Bond (Coltene) was applied to the tooth, scrubbed for 20 seconds, and gently air dried until evenly thinned out, and light cured for 30 seconds.

• BRILLIANT EverGlow (Coltene) in shade BL Trans was used to build up the palatal shell in the stent made using a mock up prior to treatment. The shell was kept reasonably thin, and stabilised with BRILLIANT EverGlow flowable composite (Coltene) in shade A2/B2. At this stage, it was noted that the palatal shell was too long, so this was taken into account in the following steps.

• Proximal walls were built up with BRILLIANT EverGlow in shade BL Trans using mylar strips and the ‘pull-through’ technique.

• Body shade BRILLIANT EverGlow A2/ B2 was placed, leaving space for blue tints to run along the incisal edge and up the inside of the proximal walls.

• MIRIS2 blue tint (Coltene) was applied to the incisal edge and the inner aspect of the proximal walls to mimic the translucency in the neighbouring tooth.

• A final layer of BRILLIANT EverGlow in shade BL Trans was then applied, blended, and cured.

• The restoration was trimmed using polishing burs and discs. The occlusion and excursions were checked, and then polished to near high-gloss using DIATECH ShapeGuard polishers (Coltene).

The patient was very happy with the immediate result, but we agreed that he would return after two weeks to see how the restoration had blended. The neighbouring teeth were dehydrated following treatment, making the restoration appear too dark immediately afterwards. At the two-week review, it was noted that the colour had blended well as the neighbouring teeth had rehydrated. A final polish was completed using DIATECH ShapeGuard polishers to achieve a high lustre.

The handling properties of BRILLIANT EverGlow products, and the variety of shades and opacities available make achieving an aesthetic outcome easier. The DIATECH ShapeGuard polishers also make it very straightforward to achieve a high lustre when finishing.

Case reflection

The patient was very happy with the result, and felt it was an improvement when compared to the previous restoration on the same tooth. We agreed that the colours had blended well and that, in his everyday life, the restoration looked just like a natural tooth.

In hindsight, I wish I had spent an extra minute making sure that the composite mock-up was as accurate as possible because the process would have been easier had the palatal shell been the correct height to begin with. Additionally, on reflection, I could have been less heavy-handed with the MIRIS2 blue tint, specifically around the incisal area. The proximal areas look great, but I feel that the incisal area is a little too blue. Less is clearly more when using tints, and practice makes perfect.

For more information, info.uk@coltene. com and 0800 254 5115. COLTENE loyalty scheme https://rewards.coltene.com 

about the author dr Kevin Huynh graduated from King’s College London dental Institute and has completed a postgraduate certificate in Primary dental Care. He has a passion for providing comprehensive and high-quality general dentistry, and takes pride in his holistic approach to patient care. Kevin works very well with anxious patients who may be apprehensive about receiving dental treatment.

Universal all-in-one adhesive for a wide range of applications and adherends

Compatible with all etching techniques

No filler and no HEMA – protection against hydrolysis

Reliable strong bond, less technical sensitivity

Simplified procedure for any adherend surface

No additional primer ne eded

For further information, please contact the SHOFU office 01732 783580 or sales@shofu.co.uk

www.shofu.co.uk

Restoring quality of life with full arch reconstruction

dr Nikolas Vourakis presents a complex full arch case, using a guided surgical approach to optimise surgical and prosthetic accuracy

A60-year-old male patient presented with major concerns about unsatisfactory smile appearance, limited masticatory function and pain while chewing. The patient was in good general health. The clinical and radiographic examination revealed failing ceramic restorations, rampant caries, non-restorable teeth, soft tissue inflammation, residual roots and missing teeth. Comprehensive digital records, including extraoral and intraoral clinical photographs, were collected as part of the initial assessment. The case was deemed suitable for full arch implant-retained restoration using advanced techniques.

treatment planning

As in all cases, the patient was presented with all options and their related benefits, risks and limitations. These included no treatment, extraction of the remaining teeth and fitting of a removable denture, or extraction with an implant-retained full arch prosthesis.

The latter was the professional recommendation and the patient’s preferred option, despite it presenting the most advanced procedure. Full arch reconstruction is always a complex treatment solution, but it can substantially increase many patients’ quality of life.

Comprehensive treatment planning is crucial to mitigate the risks and minimise the

chance of complications for the smoothest patient experience and most predictable clinical results. Some of the most common complications include biological issues due to implant malposition like peri-implantitis, or mechanical/prosthetic problems such as fracture of the provisional and the final prosthesis.ii Computer guided implant surgery can be valuable for ensuring implants are placed in an ideal position during full arch rehabilitation, allowing a soft tissue emergence with a natural-looking FP1 fixed dental prosthesis (FDP).iii,iv

Ensuring the clinician is prepared for these risks, and they have been adequately communicated with the patient, treatment can be highly successful with diligent

planning and patient compliance with excellent oral hygiene. This patient underwent extensive courses of hygiene to improve the health of the periodontal tissues and was motivated to improve his cleaning routine.

When ready, the surgical planning involved a fully digital, prosthetically-driven workflow, with full dentist and dental technician collaboration. I worked with Mrs Gosia Ciepiela CDT for this case. Intraoral scans (IOS) were merged with the DICOM data from the CBCT to optimise data capture and facilitate an accurate digital plan for implant placement and prosthesis design. The digital files and photographs were imported into a Digital Design Software

Fig 1 Initial Situation frontal view Fig 2 Left lateral view at presentaton Fig 3 Right lateral view at presentaton
Fig 4a Digital planning initial situation
Fig 4b Digital extraction of teeth
Fig 4c Exocad Digital Smile Design Fig 4d Digital design of provisional restoration Fig 5 Teeth and bone supported surgical guide planning for accurate implant placement
Fig 6 3D printed composite provisional prosthesis with palatal support
Fig 7 Surgical guide
Fig 8 Remainng teeth to support surgical guide
Fig 9 Teeth supported surgical guide secured with anchor pins
Fig 10 Implants placed through surgical guide
Fig 11 Provisional restoration located in the mouth using the hard palate
Fig 12 Allograft in the sockets and around the implants
Fig 13 L-Prf for improved healing and soft tissue quality
Fig 14a Provisional restoration ovate pontics design
14b Provisional restoration reinforced with bended titanium wire
situ; Below, Fig 16
advancemnet of the buccal flap
Fig 17 OPG of the provisional restoration in situ

(EXOCAD) and a personalised, faciallydriven tooth library was used to perform an initial virtual wax-up.

The use of a surgical guide for the accurate and precise placement of the dental implants was chosen in this case. The positions and angulations of the implants were planned according to the ideal virtual wax-up that was produced. We decided to create a tooth-supported acrylic guide for fully guided surgery, supplemented by bone-fixed anchor pins for enhanced stability. The most appropriate teeth for this were identified during this planning phase.

surgical treatment delivery

The plan was followed meticulously on the day of surgery. The canines, left and right premolars and a right molar were used to support the surgical guide together with three bone anchor pins. Following the digital plan, all other teeth were extracted and thorough degranulation of the sockets was performed. No bone reduction was performed for both the provisional and final prosthesis in accordance with the Misch classification for an FP1 approach.iv

The implant beds were then prepared with the surgical guide in situ. Six CONELOG® Progressive-Line implants from BioHorizons Camlog were placed in accordance with the predetermined positions, depths and angulations. These implants were selected for this case because they feature an optimal thread design and tapered figure, promoting high primary stability – which is essential in full arch reconstruction cases. The implants were placed through the guide for better accuracy and precision. A surgical primary stability of >35Ncm was achieved for each implant. Once the implants were placed, the surgical guide was removed, and the extraction of the remaining teeth was completed.

In preparation for the provisional prosthesis, straight multi-unit abutments were fitted onto the implants and torqued to 25Ncm, followed by titanium cylinders. For the anterior implants in the areas of the central incisors, the Comfour Straight bar abutments were used. The narrow prosthetic platform of these Comfour abutments (4.3mm) compared to the wider prosthetic platform of the standard multi-unit abutments is advantageous as it provides more space for soft tissue thickness and stability of the therapeutic outcome in the long-run.

The design of the provisional prosthesis followed the Gallucci prosthetic guide protocolv providing a 3D printed composite bridge with palatal support. The palatal support sits below the fitting surface of the bridge and is only used to locate the bridge in centric occlusion using the hard palate of the patient. This bridge is an exact copy of the digital wax-up used to plan the implant positions. The use of guided surgery guarantees that the implants are placed precisely according to the plan. The provisional restoration in this case had prefabricated prosthetic channels to match the same planned implant positions and angulations. This provisional was located in the mouth using the hard palate and attached on the titanium cylinders that penetrate through the bridge, with the use of a composite based light cured material. The provisional prosthesis was then modified; the palatal part was removed and the bridge was relined with the use of a composite based flowable material, making sure that mechanically polished

deep ovate pontics were designed for adequate sculpturing and adaptation of the soft tissue. A titanium wire 2mm in diameter was inserted into the bridge improving its rigidity and strength.

A full thickness flap was reflected buccally up to the mucogingival junction followed by a split thickness flap with periosteal relieving incisions. Bone grafting materials were inserted into the sockets following socket preservation techniques. We used Mineralized Bone Allograft (MinerOss® by BioHorizons) mixed with autogenous bone particles collected during the drilling protocol, both inside the sockets

and around the dental implants to fill the jumping gaps to the residual bone. Six 10ml tubes of blood were collected and L-PRF membranes were placed buccally to improve soft tissue healing and quality.

The finished and polished provisional restoration was screwed on the multi-unit abutments at 15Ncm. The buccal flap was coronally advanced and closed with sling sutures using resorbable monofilament Glycolon 5/0 sutures.

This phase of treatment concluded with radiographs to confirm accurate implant placement. The patient was also given standard post-operative oral hygiene

and care instructions. He reported no complications or concerns during the review appointment a week later.

Final restoration

After four months, an IOS impression was executed and a digital dataset created superimposing the soft tissue, implant scan bodies, antagonist and temporary prosthesis scanning files. To avoid any inaccuracy in scalloped interface reproduction due to quick collapse of the gingival tissue, the provisional prosthesis was scanned both intraorally and extraorally, capturing its

Naturally GTO®. From syringe to defect. GTO®

Author: Dr Patrick Palacci, Marseille, France

• Outstanding stability due to ideal viscosity

• Ready-to-use in sterile syringe

• Easily adaptable to the recipient site

• Innovative dual-phase biotechnology

• TSV Gel inside for optimal stickiness

• Directly injectable into bone defect

• Faster and safer surgical handling

• Cortico-cancellous collagenated matrix

Peri-implant defect treated with OsteoBiol® GTO®

overall contour and, in particular, the transmucosal surface at the pontic sites and emerging profiles.

A titanium substructure was digitally designed (Bridge Base by Atlantis) taking into consideration the functional and aesthetic virtual wax-up and emergence profile as it was shaped by the FP1 provisional prosthesis. This metal substructure was anatomically shaped at the gingival and occlusal sides in order to tightly adhere at the soft tissue interface leaving at least 2mm of clearance for the zirconia superstructure.

Based on the digital design and copying the approved provisional prosthesis, a zirconia overlay was milled. The overlaying zirconia superstructure was digitally designed to fit the metal substructure, accomplish a flawless finish line, avoid any undercuts and verify the path of insertion, thus facilitating the bonding procedures. The zirconia superstructure was bonded with the titanium substructure using a selfcuring luting composite. The final polished screw-retained prosthesis was delivered and torqued to 30Ncm and the radiographic assessment was executed.

After the follow up appointments at one and four weeks, the patient was scheduled for periodic maintenance every three months. The retrievability of the final screw-retained zirconia-titanium supported prosthesis allowed management of the interface over time. At the one-year review, further growth and maturation of the soft tissue as well as the health of the keratinised peri-implant tissues were evident, without signs of bleeding on probing.

Outcome and reflections

The patient was thrilled with the final outcomes achieved in this case, as was I. The failing dentition was replaced by a fixed, long-term – with patient oral hygiene compliance – and cleansable solution, which will restore the patient’s quality of life.

Particularly in FP1 cases where a correct emergence profile has to be formed through the implant-supported immediate temporary prosthesis, a digital treatment plan and guided surgery offer a comprehensive workflow to achieve predictable high-end prosthetic results that mimic the natural dentition.

The translucent zirconia supported by titanium framework fulfils the aesthetic and mechanical requirements of an FP1 full arch prosthesis, while minimising the risk of fracture by providing a rigid yet passive joint to support the implants. vi The zirconia and titanium transmucosal surface characteristics (otherwise known as biocompatibility) create a highly polished interface for high cell adhesion and optimised gingival architecture.

The implant system chosen is just as important for full arch cases. It is crucial to work with products that will support both functional and aesthetic outcomes, while helping the clinician to minimise potential complications associated with this type of treatment.

For product information from BioHorizons Camlog, please visit https://theimplanthub.com/

References

i. Gonzalez-Gonzalez I, deLlanosLanchares H, Brizuela-Velasco A, Alvarez-Riesgo JA, Llorente-Pendas S, Herrero-Climent M, Alvarez-Arenal A. Complications of Fixed Full-Arch Implant-Supported Metal-Ceramic Prostheses. Int J Environ Res Public Health. 2020 Jun 14;17(12):4250. doi: 10.3390/ijerph17124250. PMID: 32545913; PMCID: PMC7345239.

ii. Lemos-Gulinelli, J., Pavani, R., NaryFilho, H., Alves-Pesqueira, A., Pessoa, J., & Santos, P. L. (2020). Incidence of surgical and prosthetic complications in total edentulous patients rehabilitated by the All-on-Four® technique: a retrospective study. International journal of interdisciplinary dentistry, 13(2), 76-79.

iii. Carosi P, Lorenzi C, Lio F, Cardelli P, Pinto A, Laureti A, Pozzi A. Accuracy of Computer-Assisted Flapless Implant Placement by Means of MucosaSupported Templates in CompleteArch Restorations: A Systematic Review. Materials (Basel). 2022 Feb 16;15(4):1462. doi: 10.3390/ ma15041462. PMID: 35208002; PMCID: PMC8880344.

iv. Misch C. Classifications and treatment options of the completely edentulous arch in implant dentistry. Dent Today. 1990 Oct;9(8):26, 28-30. PMID: 2132103.

v. Gallucci GO, Finelle G, Papadimitriou DE, Lee SJ. Innovative approach to computer-guided surgery and fixed

provisionalization assisted by screwretained transitional implants. Int J Oral Maxillofac Implants. 2015 MarApr;30(2):403-10. doi: 10.11607/ jomi.3817. PMID: 25830401.

vi. Pelekanos S, Ntovas P, Rizou V, Pozzi A. Translucent monolithic zirconia titaniumsupported FP1 full-arch prosthesis: A novel proof of concept to address esthetic, functional, and biologic challenges. J Esthet Restor Dent. 2024 Jan;36(1):197-206. doi: 10.1111/ jerd.13167. Epub 2023 Nov 17. PMID: 37975525. n

about the author

dr Nikolas Vourakis is a dental implant expert at the One to One dental Clinic in Harley street, and is also a lecturer and tutor at One to One Implant education. He supports clinicians of all experiences throughout their implant dentistry journeys on a range of informative, hands-on courses. dr Vourakis has been a practicing dental surgeon since graduating in 2005 from the prestigious Military academy Medical school at the university of thessaloniki, Greece, and spending time as a military dental surgeon in afghanistan, from 2006-07. He received his Msc degree in Oral surgery and Implantology from Goethe university of Frankfurt Germany.

Fig 18 Healing after 2 weeks Fig 19 Healing after 3 months Fig 20 Soft tissue sculpturing during digital impressions
Fig 21a Digital Smile Design of the final prosthesis
Fig 21b Final prosthesis digital design occclusal view
Fig 21c anatomically shaped titanium substructure transmucosal surface mirroring the tissue scalloping
Fig 21d Zirconia Superstructure Digital Design
Fig 22a Final Zirconia titanium supported Fp1 prosthesis
Fig 22b.Final Zirconia titanium -supported FP1 prosthesis
Fig 23a Final restoration in situ
Fig 23b Final restoration side views
Fig 24 Final prosthesis OPG Fig 25 Final prosthesis 1 year follow up
Fig 25b Final

Get discount when you Trade-in you current IOS scanner model from a different brand*, to and award-winning TRIOS 5 £6,350

3Shape makes it easy for you; just reach out and we’ll ensure a seamless Trade-in process. Take advantage of this exclusive PROMO and Trade -In to a new TRIOS 5.

Scan to know more GET £6,350 OFF WHENTRADEIN

Should you have any questions, please contact your Resellers or your 3Shape Sales specialist at sales@3shape.com *Terms and conditions

If you want to know more about 3Shape, please visit www.3shape.com

Digitest 3: a pulp vitality tester with a fast learning curve

The Digitest 3, from Parkell, is an easy to use instrument that allows clinicians to check the vitality of a tooth in the diagnostic phase and control the tooth over time

d igitest 3 Pulp Vitality tester

e xamples of clinical use

What is it? Digitest 3 is an electrical tester that uses electrical impedance. To make it works, we should hook a”hook ” to the lip (very close to apex detectors) andthen touch the tooth with the Digitest 3 tip. Alternatively, the patient can hold the “hook”, to complete the electrical circuit.

Vitality test with digitest 3

How it works: Placing some gel toothpaste on the top of the instrument helps to conduct electricity in order to have a more precise measurement.

that he is starting to feel pain. This is the first signal.

It’s important to put the gel only on the tooth we are testing.

c onclusion

TIP: The gel should not ”go” on other nearby teeth, otherwise it will conduct the electrical impulse to them too! In this example, the test will not only measure the values of the first premolar, as it should have done if the gel had remained only on that tooth.

It is an incredibly easy to use instrument, useful for both diagnosis and monitoring! Compared to other tests such as the traditional cold cotton one, Digitest 3 is less annoying for the patient, as we can modulate the discharge intensity. Immediate understanding by both the clinician and the patient! clinical report

When we turn on Digitest 3 a progressive discharge of electricity starts. We can decide to increase it or to stop it at any time.

we reach a response from the patient. Digitest 3 can be used to measure if the tooth is sensitive (and therefore alive) and also by what numerical value is sensitive.

about the author Giuseppe chiodera, is a specialist in diagnosis, detection and management of caries lesions in the very early stages, also lecures on aesthetic and conservative dentistry

Close to an old onlay.
Stump under a crown.
Thin, curved tip for distal access to a crown or fork.
TIP: It’s important to notice, in addition to the patient’s conscious response, also and above all the unconscious response given by the eyebrows. When the patient starts frowning, it means
Straight thin tip for direct access to an exposed tooth collar.
Curved tip for palatal access to an abutment.

The Perfect Couple

Meet FLEXI & PREVENT Gel

The couple that helps you to achieve even better oral hygiene

FLEXI

• The special FLEXIBLE HANDLE makes it possible to angle the handle to achieve better and easier access to all interdental spaces.

• The non-slip handle ensures good grip even when fingers are wet.

• All brushes have plastic coated wire. This ensures no metal is in direct contact with teeth and gums, thus making them much more comfortable to use and preventing dental injuries.

• 11 sizes ensure that all needs are covered.

TANDEX PREVENT Gel

• Strengthens the enamel and has an anti-bacterial effect.

• 0.12% chlorhexidine and 900 ppm fluoride.

• The consistency combined with the needle shaped tube end make it easy to apply directly on the FLEXI brush and use wherever needed.

• Pleasant taste of peppermint.

• No alcohol or abrasives.

Miranda on the Move: Gangnam Style!

BSDHT President Miranda steeples recounts her time in Seoul for the International Symposium of Dental Hygiene and IFDH House of Delegates meeting

The International Federation of Dental Hygiene (IFDH) is an organisation that represents dental hygienists around the world. It was formed in 1986, and currently has 30 member countries, a number of individual members, and represents around 90,000 dental hygienists globally. Each member country may have up to two representatives who contribute to the annual House of Delegates meeting, which alternates between in-person and online meetings. This year, the UK was represented by BSDHT President Elect Rhiannon Jones and myself.

This year’s House of Delegates meeting was held at the Sheraton Grand Hotel in Incheon, South Korea, and, for the UK visitors, the first few days in Korea were raining and grey.

The week started with an afternoon of leadership workshops, which were run by Ondina Love and Tammy Filipiak. This was a valuable seminar where we shared the personal wins and challenges of being leaders. The group were empathetic and supportive of each other, and it really was a worthwhile afternoon.

Tuesday was an early start and we were reminded of the business of the IFDH, listening to the Board Member Reports and a brief overview from each of the member countries. The local organising committee and Chair from the Korean Dental Hygienists Association (KDHA) also gave an overview of what to expect during the next few days with some direction of the itinerary.

special thanks to eMs, MC Repairs, and Young Innovations for their support

In the afternoon, we had the elections of the new board members, including my appointment to the role of Treasurer under the new President, Jill Rethman. Motions were debated that had been offered to the room in advance and one of the most exciting points that I’m able to share, is about how organisations for dental therapists, oral therapists, and oral health therapists, will now be permitted to join the IFDH as full members.

This is a positive step forwards because it demonstrates that the IFDH is an organisation that welcomes diversity and inclusion, and that it embraces all the preventive skills that the whole oral healthcare team offers. We all have a preventive mindset in common and that will not change. What could change is the opportunities for new and different trade companies to join the exhibition in the future. Companies that have not engaged with the IFDH before may now be keen to attend.

Wednesday saw the meeting continue and then it was a bus ride to the Gangnam region to check into our hotels before finding our way to the COEX conference centre for the rehearsal of the flag presentation part of the Opening Ceremony. It was so exciting walking to the COEX and seeing a huge gold sculpture of Psy’s Gangnam Style hands outside of the building.

There was free time after the flag ceremony rehearsal and people made their own plans for the evening. I joined the representatives from The Netherlands for a Korean BBQ meal which was an enjoyable experience. It was wonderful to share cooking and friendship together once again, having met at previous meetings with the IFDH and the EDHF (European Dental Hygienist’s Federation).

Thursday was the official opening of the conference, commencing with a formal ribbon-cutting with the IFDH president, the President of the KDHA, and other dignitaries each playing their part.

The presentation of the flags of the member countries from around the world was so moving and such a moment of pride – it was a real honour to take part. The local organising committee from the KDHA had done a fantastic job of planning a most entertaining opening ceremony that was a feast of lights, music, and dance; we were thoroughly entertained and enthused, ready for the start of the Symposium.

The scene was very well set for the opening speeches from IFDH President Wanda Fedora and Conference Chair Jeongran Park before the conference got underway with the first speaker of the day. The entire Symposium saw numerous education streams in different rooms under the themes of ‘Collaboration’, ‘Optimisation’, ‘Reimagination’, and ‘Equality’, with varied presentations from speakers from around the world.

I was honoured to have been invited to judge four shortlisted entrants in the Oral Presentations category, an enjoyable group of presentations that showed merit in different ways. There was another group of five shortlisted presentations that were adjudicated in another room at the same time, and the overall winner was the first

speaker that I enjoyed: Jiyoung Jung, a PhD student from the Yonsei University College of Dentistry, South Korea, with her presentation on ‘Patient autonomy and preference for dental decision-making with periodontitis patients’. Jiyoung and the other winners were awarded their prizes during the closing ceremony on Saturday afternoon.

The exhibition hall was just downstairs from the main auditorium, and this was where the posters could be viewed. This International Symposium of Dental Hygiene was generally supported by various sponsors and attended by numerous other companies. Intriguingly, there was a Bitcoin company stand that always appeared busy with a long queue, but I suspect this was due to the fact they were giving away free hot and iced coffees!

There was a Treasure Hunt card to complete with stickers throughout the exhibition, which you then traded for a lottery ticket, with the winners being drawn during the closing ceremony. The various trade stands were often well-engaged by the delegates, and I know I came home with bags and bags of samples that were generously provided by the different companies.

The KDHA had also arranged a Korean Culture Corner, which was a nice touch and a little bit of fun. You could wear the traditional dress, a Hanbok, and have your photo taken. You even had the opportunity to buy local souvenirs or other gifts to help support the KDHA and could also ‘get your colours done’. There was another stand offering massages and nail treatments.

At the close of the first day, the House of Delegates and some invited guests had the President’s reception to attend, while there was a parallel reception open to other delegates at the same time. This was a lovely opportunity to unwind and talk with speakers and friends at the end of a successful opening day. Once the President’s reception had concluded, many of joined in with the larger reception and had the opportunity to catch up with industry friends.

On Friday morning, I had been invited to chair some presentations. Once again, new talent, new ideas, and some novice presentations were enjoyed by an enthusiastic audience who were keen to ask questions and learn some more detail.

The Gala Dinner was the social highlight of the Symposium and saw around 400 guests come together for an enjoyable meal and some varied entertainment to suit all tastes. This began with some musical theatre entertainers, who treated us to a selection of songs from the shows as well as well-known Disney movies. A surprise of the evening was the Best Dressed competition, which saw 10 eager competitors take to the stage to strut their stuff.

Finally, the moment we’d all been waiting for, the second best Psy in Korea appeared for our singing and dancing pleasure. ‘Fake-Psy’ and his dancers whipped the party into a frenzy, and one couldn’t help but get caught up in the moment. His energy and performance were a fantastic way to end the evening.

Saturday’s presentations continued to offer opportunities for learning and the poster presentations continued in the exhibition hall. It was a final opportunity to visit the trade exhibition before the final presentation in the auditorium, which was Catherine Waldron from Ireland, and her work titled, ‘Let’s make toothbrushing the priority for people with disabilities: Practical tips and evidence to support people with disabilities achieve better toothbrushing routines’. Before we knew it, it was time for the closing ceremony, including closing and farewell speeches. We enjoyed a slide show of the many photos that were taken across the course of the week, and this was a lovely tribute to everyone who had contributed. It was great to hear from Enrica Scagnetto, from the Italian Local Organising Committee, who shared with us the vision for the International Symposium of Dental Hygiene in 2026, in Milan. It is exciting to note that subsequent Symposia will be held in Dubai in 2028, and that The Netherlands successfully bid to host it in 2030, all of which we will look forward to. As the Immediate Past President, Wanda Fedora received her pin badge, and introduced Jill Rethman as the new IFDH president. Jill paid tribute to Wanda and all that she has achieved during her tenure as IFDH President, before inviting the new IFDH Board to join her on stage. The Board were introduced to the audience; President-Elect, Fouzieh Elliasey; VicePresident, Sharon Friedman; Secretary, Carmen Lanoway; Treasurer, Miranda Steeples, and we all affirmed a pledge to the IFDH. This was a special moment and, so too, were all the goodbyes, and auf wiedersehens, that we shared.

To conclude this report, I want to say thank you to the IFDH, the local organising committee from the KDHA, and the BSDHT and sponsors who got me here and enabled me to participate in this fantastic event. n

Tokuyama: in a sphere of their own!

Tokuyama are technological pioneers in the field of light-cured sub-microscopic spherical filler particles, which has resulted in composite restorations of outstanding aesthetics, reliability and user-friendliness. They are the only composite manufacturer to use patented spherical filler particles within their materials. Each variant utilising spherical particles of different diameters to maximise their optical and physical properties for the desired indication. In addition to optimised optical properties resulting in enhanced aesthetic restorations, Tokuyama’s spherical filler particles offer other significant advantages compared with the irregular shaped filler particles used by all other manufacturers. They are quicker and easier to pack into nooks and crannies, reducing the risk of voids; easier to sculpt and carve; and have a much smoother surface finish which has a natural high lustre that requires minimal if any polishing.

Tokuyama’s unique spherical filler particles produce the highest gloss in the shortest possible time. Their fillers are not easy to dislodge and create a very smooth surface that is highly resistant to abrasion. Their initial lustre lasts and lasts.

Consequently, Tokuyama spherical fillers ensure smooth restorations that stay smooth; diffuse and transmit light for optimal shading and aesthetics; produce mirror reflection and have high abrasion resistance that ensures a long-lasting polish, lustre, durability and colour stability; and optimum optical shading.

Spherical fillers – a pearl of an idea! Utilising patented Sol-Gel Technology Tokuyama “grow” their spherical filler particles to a diameter that is optimised for their desired colour adaptation and outstanding physical properties.

All other manufacturers simply grind their glass materials until the individual filler particles are within a desired, but random size range. Their filler particles are all irregular in size and shape, as seen under a scanning electron microscope.

What does this mean for the clinician and patient?

Mirror reflection and Lustre

With their identically shaped spherical filler particles, Tokuyama composites reflect light just like natural enamel and have a natural lustre. Unlike rough surfaced composites which scatter light diffusely to produce a dull matt appearance.

abrasion resistance

Tokuyama composites’ uniform and small spherical filler particles are not easy to dislodge and produce a very smooth surface that is highly resistant to abrasion. This abrasion resistant surface remains smooth permanently, so that the initial lustre of Tokuyama composites remains permanent too.

Unlike irregularly shaped filler particles used by other manufacturers, which can become dislodged or plucked out by polishing etc to leave a rough and irregular pitted surface which is very abrasive and very difficult to polish.

Light Diffusion and transmission

The high light diffusion and transmission properties of Tokuyama composites ensure a uniform and gradual transition between tooth and composite. Unlike conventional composites which exhibit minimal light diffusion and transition resulting in visible margins.

Faster Polishing

Tokuyama composites produce the highest gloss in the shortest time.

radical amplified Polymerisation (raP) technology

Tokuyama’s patented Radical Amplified Polymerisation (RAP) Technology enables them to reuse the camphorquinone over and over again. This not only speeds up the curing time, but also dramatically reduces the amount of camphorquinone that is necessary in other composites.

Longer Working time, Faster cure

Tokuyama’s RAP Technology ensures faster curing plus high resistance to ambient light to ensure an extremely generous working time, when required. Followed by an extremely short curing time. Consequently, Tokuyama composites offer ease of placement, sculpting and finishing which remains completely under your control until the moment you want it to cure, at which point it cures virtually instantaneously.

Deep and completeness of cure

Tokuyama’s RAP Technology ensures a much higher degree of polymerisation resulting in much lower residual monomer, which leads to stronger, deeper and more complete curing.

Minimal Shade change

When camphorquinone is light cured its shade changes to a more yellowish hue.

Tokuyama’s RAP Technology means there is a much lower proportion of camphorquinone in their composite materials which ensures an imperceptible shade change after light curing. Unlike other composite brands.

conclusion

Tokuyama’s combination of patented spherical filler particles and RAP Technology means that their composites are easier to place, sculpt and finish; produce smooth restorations which are easier to polish and have a mirror finish and lustre that lasts and lasts and lasts; diffuse and transmit light for optical shading and aesthetics; are extremely abrasion

tokuyama radical amplified Polymerisation (raP) camphorquinone multiplier effect

resistant; have optimum optical properties; extended working times; shorter curing times, imperceptible colour change after curing; and are extremely aesthetic. Consequently, Tokuyama composites are in a sphere of their own!

For more information about the complete Tokuyama range please contact your local Trycare Representative, call 01274 885544 or visit www.trycare.co.uk n

SeM of tokuyama spherical filler particles
SeM of irregular filler composite material

Dentistry Show London fast approaching

Only a month to go until the capital’s premier dental event!

The industry and profession are hotly awaiting the return of Dentistry Show London, taking place on 4 and 5 October at the ExCeL London exhibition centre. Over 4,000 visitors are expected and 2024 is set to be the best year yet, with an unparalleled exploration of the latest innovations in dental technology and practice, as well as patient care.

One of the key features this year is the new Specialty Interest Theatre, which is set to draw attention from a wide range of visitors. Covering topics such as endodontics, orthodontics, oral surgery and periodontology, the theatre will be supported by a range of highprofile partners. These include the British Endodontic Society (BES), British Orthodontic Society (BOS), British Society of Periodontology (BSP), British Association of Oral Surgery (BAOS), and the Association of Dental Implantology (ADI).

This exciting addition will appeal to all members of the dental team who specialise in these areas of expertise, as well as those keen to find out more about the latest developments in these fields. Prestigious speakers include Tamer Theodossy, Consultant Oral Surgeon from the BAOS, who will be giving a talk on the ‘Limitations of 2D imaging in oral surgery’ and exploring how 3D imaging can enhance understanding of crucial anatomy and allow professionals to modify techniques.

The lecture will also cover how CBCT scans can be formatted to extract the data from them. This fascinating subject will leave attendees with a deep understanding of the various 2D and 3D imaging modalities available in oral surgery and their individual limitations.

Another notable speaker we are excited to see take to the Specialty Interest stage is Reena Wadia, Founder & CEO of Specialist

Periodontist, RW Perio & Perio School – the largest and one of the top specialist gum clinics in the UK. Reena is keen to raise the importance of gum health and how it can be incorporated into a lifestyle approach, and is regularly featured in popular national and consumer publications on the subject as part of those efforts.

She will be covering the ‘Latest guidelines on the perio-ortho interface’, looking at the S3-level clinical practice guidelines, which allow for an evidence-based and patientcentred decision-making process for managing periodontitis patients requiring orthodontics. The talk will also consider orthodontic management, including types of appliances, movement, use of adjuncts, timing, management of periodontitis relapse, as well as the importance of successful maintenance.

Official partners of the Specialty Interest Theatre will also be on hand, offering expertise and insight into their specialist fields, including the BSP, with ‘A deep dive into periodontal pockets: a guide to effective management’.

Jay Parmar, Specialist Periodontist at the society, will host this talk and explore the factors contributing to the formation of periodontal pockets, helping visitors gain a comprehensive understanding of accurate and effective assessment and management. Evidence-based non-surgical and surgical treatment modalities will be discussed, and attendees will be empowered with the knowledge to enhance their clinical practice and improve patient outcomes.

Dentistry Show London Event Portfolio Director, Alex Harden, comments: ‘We’re really excited about the forthcoming event and, in particular, the stellar lineup of speakers and exhibitors we have at this year’s show. Our new Specialty Interest Theatre will provide fresh insights and discuss groundbreaking research, leaving

delegates inspired and empowered with the knowledge and skills in these specialities. We are incredibly grateful to our fantastic partners and industry leading speakers for sharing their expertise.’

A host of other innovative theatres will also be running over the action-packed two days, with popular additions such as the Clinical Excellence Theatre, Practice Owners & Business Management Theatre, and Aesthetic & Digital Dentistry Theatre making comebacks, as well as the Dental Care Professional Hub and Enhanced CPD Theatre.

In addition to hearing about the most topical subjects and staying abreast of trends, attendees can earn enhanced CPD hours, with up to 12 hours of content available for each attendee – great for those looking to progress their professional development. In total, over 100 hours of free innovative content will be available, delivered by some of the most renowned names in dentistry.

With more than 150 exhibitors confirmed and a host of inspiring speakers and seminars, there is no better place to

Vcelebrate dynamism and creativity. The show floor is set to be abuzz with trends and insights into the industry’s futures.

The ‘who’s who’ of dentistry will be in attendance and dental experts, fellow practitioners and key opinion leaders will be on hand to share experiences, engage in meaningful conversations and discuss emerging trends, as well as potential challenges in the dental field.

Attendees are recommended to plan in advance to maximise their time at the show.

As well as visiting the inspiring theatres and discovering innovative products on the show floor, Dentistry Show London offers an unparalleled networking opportunity –allowing you to meet and network with colleagues and friends, plus make new connections to help you thrive and grow. Look out for events taking place at stands throughout the show and don’t forget to visit the networking lounges.

For more information and to register free of charge, visit london.dentistryshow.co.uk, as well as following @dentistryshowCS on Instagram to receive updates and exciting news about what 2024 has in store. n

will be attending Dentistry Show London

isit stand F20 at the 2024 London Dentistry Show and discover A-dec’s smart ergonomics, legendary reliability, and unparalleled quality for yourself. It’s an ideal opportunity to explore A-dec chair configurations, delivery systems, LED lights and dental stools. Why not ask for an on-stand 1-2-1 demonstration with one of our team of expert Territory Managers or drop by to discuss your practice needs. We understand it’s important to do your research when investing in dental equipment, so make sure you visit A-dec at stand F20.

With so many exhibitors attending the LDS and a vast range of dental equipment available, researching the market can become a slightly daunting experience. The key to success lies in gathering relevant intel to make the right decision for you and your patients. Here are a few pointers for you to consider.

Firstly, look for a manufacturer with a proven track record. Gather background information about the brand: How long has the manufacturer been in your market? Do they have a proven track record of selling equipment to a range of practices nationwide? Asking these kinds of questions will help you build a clear picture of the reputation and reliability of the manufacturer or supplier.

Engaging in an open, two-way conversation at the Dentistry Show London 2024 will help you gain a better understanding of the brand and build a solid relationship with the representative. Buying dental equipment shouldn’t be just about the initial sale; it should be about fostering a lasting relationship for the life of the equipment. Your supplier is there to offer advice and support to help you maximise your usage of the product.

An ideal piece of dental equipment would follow the KISS principle, which stands for Keep it Simple and Serviceable (KISS). Downtime for dental surgery is the enemy. It doesn’t matter how good your dentistry is, if the chair’s not working you are losing money. This is an important consideration when attending a dental show and researching equipment. Are the service engineers regularly trained by the manufacturer? Does the manufacturer have factory trained customer service personnel to fault-find and speed up repair?

Always prioritise your patients when choosing dental equipment, as their comfort is paramount. Events like the Dentistry Show London offer the perfect environment for dental professionals to physically inspect and interact with dental chairs, so take the opportunity to ‘test drive’ and don’t hold back on probing representatives! Consider what matters most to your patients. If the chair is dated and uncomfortable, what kind of service are you providing? Assess whether the

headrest can be extended to support a tall patient’s head. If it can’t, how will they get comfortable? Check if the chair can lift substantial loads, such as the A-dec 500 dental chair, which can lift up to 500 lbs. With patient treatments lasting longer, a gap between the chair back and the seat section can inhibit comfort, and poor lumbar support will lead to patients shuffling to get comfortable, leaving you waiting for them to settle. Making patient comfort a priority will enhance their overall experience and satisfaction.

Our friendly team of professional Territory Managers, Justin Hind (A-dec Territory Manager London & South East England) and Allan Wright (A-dec Territory Manager Scotland & Ireland) will be representing A-dec at the Dentistry Show London, throughout the two-day event, so make sure you stop by. With their extensive knowledge of dental equipment and years of experience working in the sector, they can provide valuable insights on maximising the efficiency of your surgery in relation to your floor space and practice needs now and for the future.

Can’t make it to the show? Book a showroom appointment at one of our prestigious showrooms in Bracknell, Warrington, or Nuneaton. For more information, email info@a-dec.co.uk or visit https://unitedkingdom.a-dec.com/showrooms n

Going above and beyond with patient health

Dr Miguel Stanley is on a mission to help dentists promote the link between systemic and oral health among their patients as part of his lecture at the highly-anticipated BACD 20th Annual Conference

The divide between dental and general health care is something that Dr Miguel Stanley – adjunct professor at the University of Pennsylvania and visionary founder of the White Clinic in Lisbon – wants to help change. But Miguel notes there are communication barriers for dentists when promoting both the oral and systemic health of a patient:

“What you say can mean different things depending on the demographic that you are engaging with and where in the world you are working. A healthy Gen Z or millennial has very different views about oral health compared to a baby boomer who has had extensive restorative work for over 50 years. We must calibrate our vocabulary and consider what our words mean to them in order to better communicate with our patients.

“For instance, we know there is a correlation between periodontal disease and systemic health issues. To understand periodontal disease, you have to know about the array of complications that can occur, from mild gingivitis symptoms all the way to severe tooth mobility. How we communicate this with the public is the greatest challenge for the dental community.”

Regarding the gap between dental and health care, Miguel is optimistic about building a bridge: “It is not about being right or wrong or better or worse – it is about having a seat at the wider table of systemic healthcare. Doctors and dentists are not yet in the same universe. I hope to inspire dentists to grab the opportunity to create mechanisms, therapies and diagnostic tools which will elevate dentistry within the field of systemic healthcare. Doing so will help a lot more people enjoy an improved health span.”

Considering patient understanding, Miguel acknowledges the areas still lacking: “We need to understand that no two dentists are the same due to different education, practices and technologies. No two patients are the same either. As the founder of the Slow Dentistry Global Network, I have always advocated for seeing fewer patients per day and doing extraordinary diagnostics with effective explaining and communication where possible. “Finding common denominations between unique dentists and unique patients can be impossible. Artificial intelligence will play

a huge role in this. Companies selling products in the field will also have a role to play. All of these actors must be sitting at the same table to find better ways of communicating with and educating patients to ensure improved healthcare for all.”

Miguel offers some technological recommendations to help with everyday communications and solutions in cosmetic dentistry:

“A panoramic x-ray is a ubiquitous tool that gives you a full understanding of the patient’s mouth. You can spot things that may go undetected from visual assessments in an appointment. An intraoral scanner is fundamental for those wanting advanced digital design as well. Too many cosmetic dentists want to build the smile rather than design the smile. You can more predictably understand the smile outcome when you correctly utilise this technology.”

When it comes to educating patients in way that supports the provision of ethical cosmetic dentistry, Miguel adds: “Cosmetic dentistry is a massive passion of mine. We can change people’s lives by giving them back a smile. However, I am saddened to see that some practitioners across the globe focus just on aesthetics rather than also on biology and function.

“If dentists aren’t prepared or patients don’t want to pay, they try to do quick-fix aesthetics which create problems down the line. Having teeth filed down to pegs is a tragedy. Organisations like the BACD have to come together to stop this, to find profitable alternatives that allow dentists to perform extraordinary cosmetic dentistry with a huge amount of ethics. I will be showing some of the tools dentists can use during my lecture at the upcoming Conference.”

Miguel’s lecture at the BACD Annual Conference in London this November is titled “Beautiful Teeth and Systemic Health, Time to Rethink the Dogma”. Miguel reflects on what else he hopes to cover: “My lecture will explain how minimally invasive restorative dentistry – using tools that we already have – can help patients

live better and longer from an immunology perspective. We’ll explore how we can use the weapons we already have to go beyond the mouth and support patients’ immune systems and neurological health, skin, and overall wellbeing. Systemic diseases are on the rise so I will show how, as a dentist, you can help tackle this.

It will be a fun, dynamic lecture to hopefully inspire clinicians and their teams.”

Along with the network of passionate professionals and the world-class speakers, Miguel considers why the BACD Annual Conference is the place to be this November:

“I have a lot of respect for UK practitioners as they face a challenging landscape. British practitioners need a lot of support from allies around the world. I commend the BACD for always bringing worldclass speakers to the stage, building a legacy to improve dentistry for all across the UK. I really look forward to being among my colleagues and also seeing the companies among the trade show demonstrating their amazing technologies and supporting the entire ecosystem.”

Don’t miss the BACD Annual Conference this November and help us celebrate 20 years of excellence. Book today!

BACD 20th Annual Conference 7-9 November 2024

It’s Our Birthday And We’ll Smile If We Want To! Please book at bacd.com 

Guiding the way

Dental therapist and former BSDHT President Sally Simpson discusses the benefits that Guided Biofilm Therapy has brought to her patients and practice as well as her role in making direct access a reality

Hi Sally, your background is rather impressive. Could you tell us about some of your career highlights?

I started my career in dentistry 37 years ago as a dental nurse before training as a dental hygienist in 1995 at King’s College London and as a dental therapist at The University of Manchester in 2002. My career has been incredibly varied over the years, having worked as both a clinician and a tutor in dental hygiene and therapy in both London and Manchester Dental Hospitals. I have also worked clinically in NHS Community Dentistry and NHS General Practice, and in Private General and Specialist Practices.

I have always felt strongly that the importance of our role as dental hygienists and dental therapists was both undervalued and unrecognised within the wider industry, and this led to me becoming involved with my professional organisation, The British Society of Dental Hygiene and Therapy (BSDHT) at the inception of my career, with an aim of meeting likeminded individuals, helping to unify the profession, and to raise awareness and gain recognition for the significant impact we can have on improving the global oral health of our population. This led to me becoming BSDHT President between 2010-2012. I sat as a member representing the UK within the House of Delegates of the International Federation of Dental Hygiene at that time.

During my presidency, on behalf of BSDHT, I submitted a proposal (alongside The British Association of Dental Therapists) to the GDC asking that patients should be allowed direct access to our skillset without the requirement of a referral from a dentist, as this would significantly improve access to essential dental services required by the UK population. This proposal was eventually accepted the following year, in 2013 –a landmark change in the rules around our working practices and one that I’m sure has, and will, positively affect millions of the UK population. The proposal was the result of incredible work and research from many members of our organisation, who volunteered their time to help in the conception of the paper and presentation of evidence we required to present our case, and I’m very proud to have been a part of this as the current President of the organisation at the time.

I now work three days a week as a Clinical Dental Therapist in private general practice in Derbyshire, and still retain some teaching work within a dental hospital and as a Swiss Dental Academy Trainer.

when did you first learn about Guided Biofilm therapy (GBt) and why did you adopt it into your work?

I was present at the very first Global Symposium for GBT and honoured to be invited as a guest to present my early thoughts on the concept and its potential impact on oral health. The concept attracted me immediately and I adopted it into my work as soon as I returned from the Symposium! I felt it presented a clear, gold standard treatment protocol, which was easily

tailored to suit any patient demographic and so beneficial to oral health. It was easy to incorporate into practice and the benefits were endless from a patient, clinician and practice perspective.

what have you – and your patients – found to be the major benefits of GBt?

Firstly, patients told me how comfortable treatments were in comparison to traditional modalities I had previously offered, even though I had always prided myself on providing comfortable dental care. I also noticed my patients began to better engage with oral hygiene goals I set them, and the clinical results spoke for themselves once I began to review and reassess patients at recall appointments, especially those undergoing treatment for periodontal disease and recurrent caries.

From a clinician perspective, I appreciate the concept has a cast iron evidence base, enjoy working through a flexible protocol that can be tailored to individual

patient needs, and is less labour intensive from a treatment perspective (as I’m not getting any younger!). I also feel that I am working as minimally invasively as possible and so much more emphasis is placed on prevention and treatment time is now shorter. Providing GBT as standard within my practice has seen huge practice growth through recommendation and repeat attendance to see me, so much so that the practice has required another dental therapist team member to help me service our growing patient base!

what tips would you offer to dental professionals either offering GBt to their patients already or thinking about it?

For me, I didn’t want to be offering GBT alongside traditional modalities as a “premium” treatment payable at a premium. Instead, the practice made a conscious decision that GBT would be offered to every patient I saw as part of our gold standard care. All patients are treated using

the protocol. I would recommend practices incorporating GBT to do the same. If you are thinking about it, then I would recommend booking on one of the Swiss Dental Academy Masterclasses that run throughout the year across the UK. This will fully train a clinician on the equipment required and maximises clinical knowledge, skills and effectiveness. EMS also has a team of GBT experts that can visit dental practices and provide information, training and equipment handovers so that you and the rest of the dental team are fully educated on the GBT protocol and benefits, as well as management and maintenance of the equipment, so you can hit the ground running as a team! I’m very passionate about ensuring the whole team has an intimate knowledge of GBT so that every member of the practice can describe its benefits to a patient – after all, teamwork makes the dream work, and we all need that to help the patient on their journey to oral health! n

in Implant

Hosted by Dr Barry Oulton

BROUGHT TO YOU BY

A day to support you with everything you need to effortlessly increase implant numbers and associated profits, regardless of your current implant numbers or your chosen implant system.

For GDP’s who:

O er implants and want to do more Are just starting their implant journey

Dental Hygienists & Therapists who: Are identifying potential implant patients

Supporting the long term maintenance of implants

Teams:

Looking at how implants can support practice growth.

Helping delegates with sales, systems and processes to streamline workflow.

Lousie Warden

Identifying an Implant Patient.

Jolene Pinder

The Importance of Implant Maintenance.

Dr Emanuele Clozza DDS,

A Paradigm Shift Using Photogrammetry to Record the Position of a Complete Arch of Implants in a Digital Workflow.

Dr Aly Virani

The Confident Dentist Dentistry

FOR GDPS, DENTAL HYGIENISTS & DENTAL THERAPISTS

Mission Beyond Smiles in the Venezuelan Amazon

The ODL Dental Clinic team recounts its recent outreach visit to the Pemon community

At ODL Dental Clinic, we are committed to making a positive impact both within and beyond our practice. This commitment gave rise to Mission Beyond Smiles, our initiative to support underprivileged communities. Recently, our team had the privilege of traveling to the heart of the Venezuelan Amazon to provide essential dental care, supplies, and education to those in need.

Our previous visit to the Pemon community deeply moved us. Despite their incredible hospitality and resilience, the Pemon people face significant hardships, including severe poverty and a lack of basic resources. With only one outdated dental treatment room, malfunctioning equipment, and no qualified clinicians, their oral health needs are often unmet. The isolation of their location makes it difficult and costly to access supplies and healthcare, leading to widespread preventable diseases and dental issues.

Determined to make a difference, we partnered with the University of Santa Maria in Venezuela and dental community peers to organise our first

Mission Beyond Smiles trip. Thanks to overwhelming support from our peers and generous donations of dental supplies and children’s clothes, we were well-prepared for our journey.

Our team travelled nearly 6,000 miles over 35 hours. Upon arrival, we were warmly welcomed by the community, which fuelled our determination to make the most of our time there. We divided into sub-teams to maximise our impact: the clinical team set up surgeries and treated patients, while others distributed supplies and provided oral hygiene education.

We distributed hundreds of oral hygiene kits, conducted numerous educational classes, and provided hands-on workshops at the local school. We witnessed the immediate impact of our efforts as community members eagerly embraced their new dental supplies and brushing techniques. The joy and gratitude of those we helped were profoundly

moving. One elderly woman, who had endured years of tooth pain, wept with relief, while children delighted in their first toothbrushes.

Returning to London, we reflected on the invaluable lessons learned from our trip. We realised that, while distributing supplies is vital, empowering the community with oral health education has a lasting effect. We provided educational materials and trained local health workers to continue this essential work.

The Pemon community has inspired us to think bigger and act more boldly. We aim to expand our network of supporters, secure additional funding, and return to the Amazon to provide advanced treatments and establish a permanent oral health education programme.

As dental professionals, we have the unique ability to effect meaningful change. Our journey to the Venezuelan Amazon was challenging but rewarding beyond measure. We saw firsthand the profound difference our work

made and the deep appreciation of the Pemon people.

We invite our colleagues and supporters to join us in this mission. Every contribution, whether through donations, volunteering, or spreading the word, helps bring hope and health to remote communities. Together, we can continue to transform lives, one smile at a time.

For more information about the Pemon community or how to get involved, please get in touch with us at admin@odldentalclinic.com or on 020 7638 6600. n

Shades of White

3 Viscosities –infinite possibilities

The patented Smart Chromatic Technology in OMNICHROMA ensures infinite colour matching from A1 to D4 thanks to structural colour. Add to this 3 different viscosities for all preferences and areas of application. The OMNICHROMA family thus offers the user every conceivable option with a minimum of materials.

OMNICHROMA –is all you need for state-of-the-art filling therapy.

artificial colour pigments ”automatically” adapts to the tooth shade

Bis-GMA– formulation for better biocompatibility

sustainable stocking only order 1 shade & no expired special shades

The future is bright without amalgam

As the phase-down of amalgam gathers pace, John Maloney, GC UK Country Manager looks at the promising range of direct restorative materials ready to replace it

Earlier this year the European Council adopted a regulation to ban the use of dental amalgam in its member states from 1 January 2025 - 5 years earlier than expected. Exporting dental amalgam from the EU will also be prohibited from 1 January 2025 and a ban on manufacturing and import in the EU will apply from 1 July 20261

Rising health concerns about amalgam have already seen stringent regulations put in place to phase down amalgam use and ensure safe disposal in dental practices in line with the Minamata Convention on Mercury, which came into force in 2017. The use of amalgam for treating pregnant or breastfeeding women and deciduous teeth of children under 15 has been banned in the EU and in the UK since 1 July 2018. With an average of 0.6 grams per filling and a total use of 40 tons of mercury per year, dental amalgam is the largest remaining use of mercury in the EU and contributes significantly to environmental pollution 2

Greater awareness of the environmental and health impacts of mercury means many patients support the move away from amalgam. Another driving factor for patients is its poor aesthetics and the increasing availability of tooth-coloured, mercury-free alternatives.

Group 1: Glass hybrid

For fast, easy placement, moisture tolerance and proven longevity, our EQUIA Forte™ HT bulk fill glass hybrid restorative system has an excellent long-term success rate, even in load-bearing cavities.

Ideal for use when isolation is difficult to achieve, the chemical adhesion of EQUIA Forte HT eliminates the need for separate bonding. With unlimited depth of cure and

finding the alternatives

Despite the UK’s position outside the EU, the acceleration of the EU amalgam phaseout has added some urgency to the search for alternative materials that can match the strength, moisture tolerance and longevity of amalgam. The good news is that GC has long been pioneering new materials to rival amalgam within three products groups. Choosing between them depends on the specifics of the case in hand.

virtually no shrinkage due to the absence of resin monomers, a minimally invasive approach can be achieved as only infected dentine needs to be removed.

Specialist Prosthodontist, Akit Patel relies on EQUIA Forte HT for his most challenging restorative cases, especially in the treatment of root caries in older people.

“EQUIA Forte HT offers super-high mechanical properties. It’s easy to use and sculpt, adapts well to the

margin and provides the optimum seal, which is paramount. Its natural ability to chemically bond to the tooth means nothing beats it out there and that’s why it’s one of my go-to products for core materials and for crown and bridgework.”

Group 2: Injectable composite

An injectable composite should offer thixotropic viscosity, wear resistance, polishability and aesthetics, all of which are found in G-ænial® Universal Injectable, a one-stop material for all cavity classes - even load-bearingwithout a covering layer.

The viscosity of G-ænial® Universal Injectable means it stays in place but still adapts to any cavity. It has exceptional strength and high wear resistance thanks to GC’s unique Full-coverage Silane Coating (FSC) technology, bringing excellent dispersion and adhesion of the fillers in the matrix.

Leading expert in cosmetic and restorative dentistry, Céline Higton, says G-ænial® Universal Injectable is fast becoming one of her favourite composites to work with.

“The shade choice is phenomenal with dentine shades, enamel shades and even a bleach shade. As a flowable its properties are incredible in terms of fracture resistance, wear resistance and polishability. It can also be used as a long-term temporary material because it wears very well and is so easy to place.”

Group 3: fibre-reinforced composite

For perfect adaptation and bulk placement, a fibre-reinforced composite is the strongest available dentine reinforcement material. everX Flow™ is a short-fibre reinforced flowable composite ideal for large or cracked cavities, with superior fracture toughness and easy bulk placement of layers up to 5.5mm thickness with the Bulk shade.

Its flowable consistency allows it to adapt to any cavity without slumping and enables a direct restoration where an indirect one

could have been indicated, making it a more affordable solution for patients.

Shrinkage stress can be a real issue when placing composite. In larger cavities, by using a fibre-reinforced composite such as everX Flow and everX Posterior, when the composite shrinks the fibres work to dissipate the shrinkage stress, making it an ideal material for root-treated teeth where a composite with the least shrinkage stress and good translucency is required.

“I treat a lot of structurally compromised teeth. We focus on preserving dentine during endo access; everX Flow has the properties to help us reinforce restorations and provide a high fracture toughness.” Daniel Flynn, Endodontist at Endo UK

Looking beyond amalgam

The era of dental amalgam is slowly coming to a close and it is likely in the near future that the use of amalgam will cease in most healthcare systems.

While no single material fulfils all the requirements of an amalgam replacement, clinicians can look beyond amalgam to the wide range of readily available materials, which together will provide all the alternatives they need - with the substantial additional advantages of improved aesthetics and a lower environmental impact.

To find out more about GC’s range of alternatives to amalgam visit https://campaigns-gceurope.com/ amalgam-alternative/#products or scan the QR code.

For more information on GC’s full range of restorative products contact GC on 01908 218999, email info.uk@gc.dental or visit gc.dental/europe/en-GC n

references

1. Council of the European Union Press Release, 30 May 2024.

2. Position Paper on the European’s Commission’s Proposal for Phasing out Dental Amalgam by January 2025; European Network for Environmental Medicine, 11 October 2023.

about the author John Maloney, is Director/Country Manager uK, Ireland and South africa at GC uK

EQUIA Forte HT

G-ænial Universal Injectable GLASS HYBRID

Easy & fast placement

Moisture tolerant

Proven longevity

everX Flow

INJECTABLE COMPOSITE FIBRE-REINFORCED COMPOSITE

Thixotropic viscosity

Wear resistance

Polishability & aesthetics

Perfect adaptation

Bulk fill

Reinforced with glass fibres

Empowering patients with budgetfriendly options

In today’s challenging economic climate, maintaining oral health is more crucial than ever to avoid costly dental treatments. However, the high price of some electric toothbrushes and other oral care products can be a significant barrier for more patients than we might initially think.

There are value-driven alternatives that are, perhaps, currently less well-known to the public than some of the more expensive products, and we need to change that. Patients need to be told about the options that provide effective oral care without the hefty price tag, to help them achieve and maintain oral health without breaking the bank.

Healthcare spend

To put this in perspective, the current economic climate has significantly impacted healthcare product spending in the UK. Compared to five years ago, there have been notable changes in both government and out-of-pocket expenditures.

In 2018, the total current healthcare expenditure in the UK was £214.4 billion, equating to £3,227 per person, and accounted for 10.0% of the GDP. It would be remiss not to consider the NHS in all this, and so government-financed healthcare expenditure was £166.7 billion in 2018, making up 78% of the total healthcare spend, with out-of-pocket spending growing by 7.6% (Tristan Pett, 2020).

By 2023, the overall healthcare expenditure increased to around £292 billion. However, the growth in healthcare spending did not keep pace with GDP growth, causing a slight decrease in healthcare spending as a percentage of GDP, from 11.1% in 2022 to 10.9% in 2023 (ONS, 2024).

Government healthcare expenditure saw a real-terms reduction, driven by decreased spending on preventive care and other services that had been elevated during the peak of the COVID-19 pandemic (ONS, 2024).

Making

difficult choices

On an individual level, data from the Oral Health Foundation in 2022 revealed that UK households were spending an average of £4.70 per week on oral health products. However, over a third (38%) spent as little as £2 a week. Alarmingly, at that time 22% were reducing their spending on oral health compared to just 11% increasing it (Design, 2022). With the pinch still ongoing, one could safely surmise things have got worse rather than better in terms of available spend for struggling families.

All these statistics illustrate that while overall healthcare spending has increased, the proportion funded by the government has faced constraints, leading to a higher reliance on private and out-ofpocket expenditures. This shift highlights the growing importance of affordable healthcare solutions for patients, including cost-effective oral care alternatives to manage their health within a tighter budget.

Cost-effective solutions

Clearly, patients need practical solutions to keep their oral health in check without incurring additional financial strain. Affordable alternatives to highend electric toothbrushes offer a viable solution, providing similar benefits without the prohibitive cost. Options such as more budget-friendly electric brushes can deliver excellent cleaning performance, helping to prevent dental issues and maintain overall oral health.

There are value-driven innovative toothbrushes on the market, such as the SONIK, that combine traditional quality with modern technology. These toothbrushes offer features such as high-frequency sonic pulses for comprehensive cleaning, smart timers with custom modes, and high-quality bristles. They are designed to provide an efficient and enjoyable brushing experience, making them valuable tools for both dental professionals and patients. Meanwhile, subscription services are emerging as a practical solution to ease the financial burden on patients. One such service is provided by Kent Oral Care, which offers a 10% saving

on all subscription plans, ensuring continuous access to essential oral care products like toothbrush heads, toothpaste, tablets, interdental brushes and mouthwash. As well as subscribers benefitting from discounts, there are customisable delivery schedules and the convenience of having these products delivered directly to their doorsteps. This approach helps patients maintain a consistent oral hygiene routine without the hassle of frequent trips to the shops.

awareness is key

Dental professionals play a crucial role in guiding patients toward cost-effective and effective alternatives, including subscription models. By recommending these solutions, the dental team can help patients maintain their oral health without financial strain. This approach fosters stronger patient-clinician relationships and supports patients’ oral health journeys, promoting better habits and long-term success. Raising awareness among patients about all available options is key, allowing them to make informed choices.

With all this in mind, Kent Oral Care offers a wide selection of value-driven oral health products without compromising on effectiveness. This makes it easy to support your patients’ dental health needs, regardless of their budget.

For further information, please visit kentbrushes.com/pages/kent-oral-care n references

• Design, D. (2022). Oral Health Foundation: Cost of living crisis contributing to deterioration of oral health. British Dental Nurses Journal, 1.

• ONS. (2024). Healthcare expenditure, UK Health Accounts: 2022 and 2023. London: Office for National Statistics.

• Tristan Pett, J. C. (2020). Healthcare expenditure UK Health Accounts: 2018. London: Statistics, Office for National.

about the author

Steve Wright is the CeO of expert brush manufacturer Kent Brushes, which now includes an oral care range of products.

DentaMile Bite Splint Workflow

When

the result counts!

Wear comfort, aesthetics and functionality are crucial factors when it comes to creating 3D-printed bite splints. Our extremely stable and flexible material LuxaPrint Ortho Comfort offers precisely these qualities. It is also important for the bitesplint to be completed in a short amount of time with minimal adjustment work, which is made possible by the efficient and precise DentaMile connect software. In this way, the DentaMile 3D Bite Splint Workflow guarantees maximum satisfaction.

Find out more about DentaMile at www.dentamile.com

When your prep is flawless, you want your digital scanner to easily capture every detail. Parkell’s Dryz® Blu hemostatic gingival retraction paste helps you do that. This easy-to-use material fits comfortably into the workflow of every digital dentist, providing that extra push for clearing the field of unwanted obstacles, so you can quickly obtain an accurate and complete digital impression every time.

Dryz Blu’s aluminium chloride formula (23%) acts in only two minutes and won’t slough tissues. The bright blue color makes it easy to see the material. Its creamy consistency adapts well and easily washes off clean, leaving no residue behind.

Available in both syringes and single dose capsules, Dryz® Blu is compatible with the most popular retraction techniques including compression caps, retraction cord, electrosurgery and lasers.

Because maintaining a dry field is critical to restorative success, Dryz® Blu can also be used to control hemorrhage and crevicular fluids prior to crown cementations (both temporary and permanent) or the placement of Class II and Class V restorations when the margins extend subgingivally.

Click on this link to know more and order your free sample today. n

europe.parkell.com/dryz-blu-uk-dentistry

We are excited to announce that our expansive mobile showroom will be in the UK this Autumn! Bringing cutting-edge technology directly to your doorstep this October, the moving showroom is the perfect way to learn the unique benefits of the whole Planmeca product portfolio - digital dental units, 2D and 3D imaging devices, CAD/CAM solutions and Romexis software.

Free to attend, come and interact with members of the local Planmeca team and engage in hands-on demonstrations. If you’re interested in new equipment, come and explore our complete range of dental solutions, designed to enhance patient

outcomes and streamline practice operations.

For more information on the roadshow, a full schedule and all tour stops is available on: www.planmeca.com/roadshow

Dublin – Monday 7th October

Leixlip – Tuesday 8th October

Manchester – Thursday 10th October Birmingham

Mira-2-Ton has been around for 25 years and simplifies the treatment and visualisation of plaque in many dental practices.

The teeth are discoloured with Mira-2-Ton liquid (erythrosine- and gluten-free). After the patient has rinsed with water, colour residues usually remain on the teeth. This visualisation makes it possible to assess the effectiveness of dental care at home and to identify individual weak points. Children in particular look excitedly at the discoloured areas. After colouring, it is easy to see whether plaque is present and how long it has been there. This is a result of the two different colours: If the colouring appears pink, the plaque has only

been on the tooth surfaces for a short time. A blue colour, on the other hand, indicates that the plaque has been present for longer. This is also helpful for the dentist to clean the affected areas with the utmost care. n

The ability to remove contamination from instruments before disinfection and sterilisation is fundamental to operating a safe dental practice. Bossklein ULTRAbio is a cost-effective concentrated solution that helps to break down and remove organic matter without damaging delicate instrument surfaces.

Designed to work with a wide range of materials, inside the Ultrasonic bath. ULTRAbio helps to remove contaminants from difficult to reach areas that traditional manual cleaning methods cannot. The unique and specially formulated solution contains enzymes to help actively break down stubborn hard to remove proteins.

By using less water and detergent ultrasonic cleaning is considered a more environmentally friendly option. The ULTRAbio solution is also Biodegradable.

Bossklein ULTRAbio is available in now. For more information call 0800 132 373 or visit www.bossklein.com n

Are you a dentist working in or close to Scotland? You could see an immediate improvement in the quality of your indirect restorative outcomes when you attend the “One-day Restorative Dentistry Course: Success Simplified” with Dr Akit Patel, in association with Solventum, formerly 3M Health Care.

Taking place in Edinburgh on Thursday 7th November 2024, the course promises to enrich your treatment capabilities through the insights of Akit, a leading, experienced prosthodontist. The course is tailored for practitioners seeking to enhance their expertise in modern restorative techniques, fostering increased confidence and clinical competence, ultimately to improve outcome, save time, and to maximise profits. Delegates will be equipped with a wealth of knowledge that will change the way they

carry out treatment, to enhance patient care upon immediate return to the practice, taught through hands-on, active sessions, to improve your learning.

When you sign up to “One-Day Restorative Dentistry course: Success Simplified” in Edinburgh, use the code SUSI20 and receive a limited time 20% discount.

To learn more about ways you can transform your indirect workflows, contact the Solventum team today.

To register please visit: https://engage.3m.com/hands_on_with_Akit

For enquiries:email: ukidentalsales@

Excellent products and seamless support – BioHorizons camlog

Dr Nick Fahey is a specialist prosthodontist, principal of Woodborough Dental Practice, author and a highly respected teacher in the field of dental implants and guided surgery. He shares why he chooses the CONELOG® Progressive-Line implant from BioHorizons Camlog:

“These implants are excellent for immediate loading – they provide a very stable connection and feature a shape and geometry that facilitates high primary stability. They also integrate very successfully. We have had better results with these implants than other available products – and I appreciate the keyless guided surgery kit for its simplicity. In addition, I prefer a deep conical connection, and this system gives

me that.

“Regarding customer service from BioHorizons Camlog, my experience has once again been excellent. The support is very good and the team will do everything in their power to ensure a smooth patient experience, dealing with issues or queries seamlessly. I would certainly recommend the company and the products to others.”

Dr Stefan Bienz, from the University of Zurich, Switzerland, will be presenting at the Association of Dental Implantology (ADI) Masterclass on 23rd November. He discusses what delegates can expect from his session “Soft Tissue Augmentation: The prosthodontist’s perspective”: “I’m very much looking forward to the next ADI Masterclass in London in November 24. As you all know, peri-implantitis is very difficult to treat, so prevention is definitely better than the cure. Have you ever wondered whether the restorative work on your implants may also have an influence on the prevalence of mucositis and peri-implantitis? We will find out

Big is back – March 2025

Keeping up with the latest in technology is tough – one blink and it has changed again.

BDIA Dental Showcase 2025 will present the latest in dental innovations, all in one place.

in my lecture at the ADI Masterclass. I hope to see you there!”

For more information, please visit: www.adi.org.uk

Become a member today n

event, and have all your questions answered.

For more details about the Level Up In Guided Surgery Level 1 course, please visit education.theimplanthub.com.For product information from BioHorizons Camlog, please visit https://theimplanthub.com/n

The largest and longest standing dental exhibition in the UK, BDIA Dental Showcase will host thousands of the latest products on the trade floor in 2025. Many of these can be tried and tested by you as you browse solutions designed to streamline your workflow and improve patient care. Plus, get hands-on in the extremely popular Clinical Excellence Workshops which will provide you with a unique opportunity to gain practical experience in a live training setting.

You can meet the suppliers of the cuttingedge technology exhibited, some of whom attend BDIA Dental Showcase as their only UK

Hundreds of the leading brands, suppliers and manufacturers will be there to, offer exclusive deals, discuss the needs of your practice and clinical skill set, guiding you to the equipment or services you require.

To discover and get a hands-on experience with the latest in dental technology, head to BDIA Dental Showcase 2025.

BDIA Dental Showcase 2025 14th-15th March, ExCeL London dentalshowcase.com n

trycare Ltd - hassle-free, predictable placement with Adin guided surgery!

Using guided surgery for implant placement has become increasingly popular among Implantologists because it offers many benefits for the Clinician and patient.

The adinguide™ guided surgery system delivers effortless procedures plus accurate and predictable implant placement. It delivers everything you need in a guided surgery system.

It is a keyless system which helps save surgery time, whilst ensuring accurate and predictable implant placement. It features ActiveFlow™ Irrigation Technology which delivers coolant directly to the surgical site. This helps prevent bone overheating, thereby maintaining healthy bone for optimum osteointegration and minimised risks of

Tokuyama are the only composite manufacturer to use patented spherical filler particles within their composite materials. Each variant utilising spherical particles of different diameters to maximise their optical and physical properties for the desired indication.

In addition to optimised optical properties, resulting in enhanced aesthetic restorations, Tokuyama’s spherical filler particles offer other significant advantages compared with the irregular shaped filler particles used by all other manufacturers. Quicker and easier to pack into undercuts, reducing the risk of voids; easier to sculpt and carve, producing enhanced morphology of the final restoration; and a much smoother surface finish.

Intuitive

3M Health Care is now Solventum. Learn how we enable better, smarter, safer healthcare to improve lives at solventum. com.

The Filtek Easy Match Universal Restorative range from Solventum, formerly 3M Health Care, is the latest breakthrough advancement in restorative care that helps you provide aesthetic results.

Clinicians choose from three different shades (Bright, Natural and Warm), which is made possible without a complicated shade guide, to achieve results that go above and beyond expectations.

The chroma, or colour intensity, of a composite has to work with the value (relative lightness/darkness) and opacity

complications.

Built-in stoppers ensure precise and accurate drilling to the desired depth, whilst keyless, selfcentering drills and tools enable Implantologists perform faster, easier and more intuitive surgeries.

The adinguide™ kits are intuitive, simple and effortless to use. They help ensure a hassle-free, logical and straightforward procedure that saves the Clinician time and worry.

For further information visit the Trycare website, www.trycare.co.uk/adin. To request a catalogue please contact your local representative or call 01274 885544.n

trycare - BioMin - continuous 12 hour fluoride protection!

Conventional 1450ppm and above fluoride toothpastes only deliver fluoride for a maximum of 90 minutes, whatever their fluoride content and provided the patient does not rinse. Despite its lower 530ppm fluoride content, Biomin F remains active for up to 12 hours, continuously releasing fluoride to strengthen teeth and protect against decay, even if the patient’s toothbrushing is erratic and inefficient. Available from Trycare, BioMin F contains tiny bioglass particles made up of fluoro calcium phosphosilicate bioactive glass which bonds to teeth and enters the dentinal tubules, where they gradually dissolve for up to 12 hours, slowly releasing calcium, fluoride and phosphate

Tokuyama’s development of spherical filler particles has culminated in Omnichroma, the world’s only colourless universal composite which matches every tooth colour no matter what the shade.

Omnichroma Flow Bulk is a low viscosity composite which can be placed in 3.5mm increments. Like the other Omnichroma materials it delivers unprecedented colour matching, high polishability and stain resistance. It also has low polymerization shrinkage compared with other bulk filled composite materials. Trycare: 01274 885544 or visit www.trycare.co.uk.n

to provide a seamless and natural result. The three solutions in the Filtek Easy Match Universal Restorative range utilise these to cover the VITA classical shades –no blocker needed.

This is just one of the unique solutions provided by Solventum, who never stops solving for you.

©Solventum 2024. Solventum, the S logo and Filtek are trademarks of Solventum and its affiliates. 3M and the 3M logo are trademarks of 3M.n

Boost your practice with Axano

Clark Dental has over 48 years of experience in dentistry, and offers a range of treatment centres to suit every practice, including the state-of-the-art Dentsply Sirona Axano. The advanced treatment centre offers integrated digital functions including the SiroCam AF+, Sivision monitor, and Smart Touch user interface.

The design of the Axano treatment centre optimises functionality, for an excellent workflow – from the initial diagnosis to case completion. The Sivision monitor ensures clear communication between you and your patients, helping them to actively engage in their treatment.

For more information, please contact the team at Clark Dental.

If you’d like to find out more about Clark Dental’s solutions, call the team on 01268 733 146, email info@clarkdental.co.uk or visit www.clarkdental.co.uk. n

Providing implant patients with the tools they need to maintain excellent oral hygiene following treatment is a great way to set them up for success and prioritise prevention.

Supplying patients with the Implant Kit from Curaprox is the perfect solution. It contains everything patients need to keep their implants clean.

For post-surgery care, the Kit contains a Curaprox Surgical Toothbrush, Perio plus Support toothpaste, a Perio plus Regenerate 0.09% or Forte 0.2% chlorhexidine mouth rinse, Perio plus Focus Gel, and a range of CPS interdental brushes in different sizes. And, for ongoing

ions. These combine with saliva to form fluorapatite which has been clinically proven to strengthen and protect tooth enamel. BioMin F also provides effective treatment for hypersensitivity.

It is the only toothpaste approved by the Oral Health Foundation for sensitivity relief. For further information visit the Trycare website, www.trycare.co.uk/biomin, contact your local representative or call 01274 885544.n

Sensei Cloud Enterprise, from the practice and patient management brand of Carestream Dental, offers a unique business management system specifically designed by dental professionals for the modern dental enterprise.

For any dental practice, the dream is an easy-to-use, fully integrated digital system to streamline all processes. That’s why now joining the Sensei Cloud family is Sensei Cloud Enterprise, the most comprehensive practice management solution in the industry.

A cloud-based, centralised business platform with intuitive visualisation tools, Sensei Cloud makes analysis easy, and

tooth brightening made simple

With BRILLIANT Lumina, the in-office tooth brightening system from COLTENE, providing patients with results they’ll love is simple. When prescribed by a dentist, the treatment can be provided by a dental therapist. The easy-to-follow treatment protocol enables dental professionals to offer patients excellent outcomes. Begin by cleaning the teeth to remove biofilm and establishing a reference shade. Then place a gingival barrier to protect the patient’s soft tissue. BRILLIANT Lumina is then placed, and left on the tooth surfaces for the application period, and aspirated to remove at the end. Treatment is finished by cleaning with water and removing the gingival barrier, allowing patients to enjoy their smile makeover. BRILLIANT Lumina produces a naturally

care it includes a CS5460 Ultra Soft Toothbrush, CS708 Implant & Ortho brush, and long-handle interdental brush holder.

To find out more about the Kit, please contact the team at Curaprox.

For more information, please visit www. curaprox.co.uk and www.curaden.co.ukn

insights can inform your business in real time straight from your dashboard.

Whether your business is multi-location or based in a single site, Sensei Cloud Enterprise streamlines processes for clinical excellence and business performance. Find out more about the many ways Sensei Cloud Enterprise can support your business.

For more information on Sensei Cloud visit https://gosensei.co.uk/ n

gosensei.co.uk

brighter tooth shade, ideal for patients who want to elevate their appearance.

For more information about the system, please contact the COLTENE team.

For more on COLTENE, visit www.coltene.com, email info.uk@coltene.com or call: 0800 254 5115.n

Choosing effective and aesthetic materials that are loved within dentistry allows you to provide brilliant restorations to your patients. Choose the Filtek One Bulk Fill Restorative (from Solventum, formerly 3M Health Care) when you want an award-winning* composite solution for a variety of needs.

As a reliable option for posterior restorations, clinicians can place up to 5mm of composite without compromising on aesthetics. Instead, the brilliant TRUE nanotechnology ensures the restoration has exceptional polish retention for a long-lasting result.

Filtek One Bulk Fill Restorative won a Dental Advisor Research Award for 2024, earning the title of the “strongest bulk fill composite” that has been tested at Dental Advisor.* For clinical needs such as direct anterior

and posterior restorations, core build-ups, restorations of deciduous teeth, indirect restorations, and so much more, look no further than the Filtek One Bulk Fill Restorative. To learn more about industry-leading solutions from Solventum, contact the team today.

BDIA Dental Showcase brings together hundreds of manufacturers, suppliers and organisations every year to present the latest in innovation and technology, with pioneering solutions developed by industry leaders to drive dental practices forward.

There are thousands of products to choose from, and experts are on hand to answer your questions, with demonstrations available too.

©Solventum 2024. Solventum, the S logo and Filtek are trademarks of Solventum and its affiliates. 3M and the 3M logo are trademarks of 3M. n

High-resolution images at high-speed

In dentistry, every second you save adds up to more patients being treated with high-quality care. With the CS 7200 Neo Edition Imaging Plate system from Carestream Dental, your intraoral imaging needs can be processed at speed.

In fact, high-resolution images that can inform a wide variety of diagnostic needs may be accessed in as little as 8 seconds. Your results aren’t compromised in quality, instead they are instantly accessible on your computer in immense detail for reliable and confident diagnoses.

Any practice can benefit from the introduction of a CS 7200 Neo Edition system. Its compact size fits the smallest spaces, and with a USB and Ethernet

connection, results can be quickly shared across small and large practices.

To learn more about optimising your intraoral imaging workflows, contact the team today.

For more information on Carestream Dental visit www.carestreamdental.co.uk

For the latest news and updates, follow us on Facebook and Instagram @ carestreamdental.uk n

BDIA Dental Showcase also now includes the hugely popular Clinical Excellence Workshops where leading minds in in various fields of dentistry offer personalised, one-to-one training experiences with some of the innovations offered by exhibitors.

Join hundreds of leading dental companies, product experts and associations, representing all disciplines, to learn more about the ideas shaping modern dentistry. Find out more about BDIA Dental Showcase today! Save the date: BDIA Dental Showcase 2025 14th-15th March, ExCeL London dentalshowcase.com n

Precision images in an instant

Selecting the right intraoral imaging systems for your practice is essential for achieving an accurate diagnosis. Clark Dental has over 49 years of experience working with dental professionals to elevate their practices.

The Dentsply Sirona Xios AE Supreme features multiple cable lengths, sensor sizes, and connectivity options. It enables you to achieve excellent image quality, as well as the ability to view images instantly on the computer screen. This allows you to identify and diagnose dental concerns quickly and precisely.

No matter the type of dentistry you provide, whether that’s general dentistry, restorative dentistry, or endodontics, the Xios AE Supreme is able to support you in achieving high-quality images.

For more information, please visit the website and get in touch with the team at Clark Dental. For more information call Clark Dental on 01268 733 146, email info@clarkdental.co.uk or visit www.clarkdental.co.uk n

COLTENE has done it again with BRILLIANT Crios. The reinforced composite block is ideal for the fabrication of milled indirect restorations.

BRILLIANT Crios is available in two translucencies and a total of 13 shades, which offers a wide range of options for aesthetic restorative outcomes. It has versatile application – suitable for both anterior and posterior applications – and has excellent mechanical properties, offering a natural bite feeling. This makes Crios an ideal material for daily use in the practice.

BRILLIANT Crios has high flexural strength for resistant restorations, and excellent abrasion resistance.

once a day is all it takes

Help patients prevent inflammation, bad breath, and infection with CPS Interdental Brushes from Curaprox.

Once a day is all it takes, with CPS Interdental Brushes able to clean in between even the narrowest spaces. They are space filling, effective, and gentle, able to clean the entire interdental space including the gum line and concavities.

The ultrafine bristles have an umbrella effect for effective plaque removal and the CURAL® ultra-thin surgical wire allows patients to clean even the smallest spaces without injury.

Plus, the click system means that patients can keep the same handle, changing only the brush heads, discarding them, and

Find out more about the BRILLIANT range from COLTENE today!

Email info.uk@coltene.com or call 0800 254 5115 COLTENE loyalty scheme: https://rewards.coltene.com n

clicking on their replacement. This means less plastic waste, and continued oral hygiene. Contact the Curaprox team to find out more.

For more information, please visit www. curaprox.co.uk and www.curaden.co.uk n

Recommend that your clear aligner patients use Aligner Foam from Curaprox to fight against plaque build-up. Support your patients in their journey to a healthier and more confident smile by protecting their teeth from harmful bacteria accumulating under their aligners. The devices prevent the usual flow of saliva washing bacteria away, putting aligner patients at risk for oral diseases and irritation.

Aligner Foam contains hyaluronic acid to keep the teeth hydrated, as well as the CPP system (Citrox®, cyclodextrin, and polylysine) to offer a long-term preventative and antibacterial effect.

Dental Elite offers bespoke services to professionals looking for the ideal position, ensuring a perfect skills match as well as a good personal fit.

Dr Aishwarya Gadde had this to say about the services offered by Luke Arnold, Locum Controller for Dental Elite: “I have been working with Mr Luke Arnold for the last 6 months.

He has been extremely professional and very helpful to me in finding locum opportunities, suiting my schedule and interests.

“He is very supportive and takes time to know the requirements of the clients to get the best suited placements. I highly recommend Luke for dentists looking for locum opportunities.”

Dr Umbreen Masud adds: “Luke from Dental Elite is very professional and talented. I have

The unique formula offers comprehensive defences against plaque, bad breath, and dry teeth.

For more information, please contact the Curaprox team.

For more information, please visit: www.curaprox.co.uk and www.curaden.co.uk n

been working with him since 2011, and he has always found me excellent associate and locum positions. He does all his research, and puts me at ease when introducing me to new dental practices.

“I can only say that he is the best recruitment consultant in the industry. Thank you, Luke Arnold, you are simply the best!” Contact the team to find out more!

For more information contact the Dental Elite team on 01788 545900 https://dentalelite.co.uk/ n

Ideal for every patient

The Curaprox range of Perio plus mouth rinses is the ideal adjunct for patients who need extra help keeping plaque levels down. Perio plus mouth rinses are available in Forte, Regenerate, and Balance, each designed to target specific concerns, making it simple to provide patients with the right solution for them. Forte is the strongest, with a chlorhexidine concentration of 0.2%, ideal for patients who are recovering from intensive dental procedures. Regenerate contains 0.09% chlorhexidine and hyaluronic acid, offering comprehensive protection for patients with gingival issues. With the lowest concentration of chlorhexidine (0.05%), Balance reduces the risk of tooth decay, making it ideal for long-term use and during orthodontic treatment.

To find out more about the Perio plus range, please contact the team at Curaprox.

For more information, please visit: www.curaprox.co.uk and www.curaden.co.uk n

curaprox.co.uk

A referral team you can trust

If you need to refer a patient for advanced endodontic treatment, work with an expert team you trust to deliver outstanding clinical outcomes.

At EndoCare, we understand that we are an extension of your team and we work hard to maintain the high standards of dentistry that your patient is accustomed to. We will also keep you updated with treatment progress every step of the way so you know exactly how to support your patient after the referred treatment is complete.

Dr John Willis commented:

“As a practising general dental practitioner, I have been referring patients to Michael [Sultan] for a number of years. I myself was unfortunate enough to need

two root canal treatments, both of which Michael attended to with his customary skill and comforting manner. He has also treated my wife, and she and everybody I send to him return with nothing but compliments for the way in which they have been treated.”

Refer to EndoCare today to work with a team you can trust.

For further information please call EndoCare on 020 7224 0999 or visit www.endocare.co.ukn

Be prepared

Whether you’re gearing up for a sale, or just thinking about selling your dental practice, accurately identifying its value should be a key consideration. With the right preparation and advice, the process can be made smooth and stress-free. The ways in which businesses are valued is sophisticated. The many variables involved in calculating this figure means that enlisting a professional who can oversee the valuation will provide you with a reliable figure from the get-go. A third party’s evaluation will add an extra layer of transparency and legitimacy to the asking price too.

Dental Elite has more than a decade of experience in the buying and selling of dental practices and has created a range

the course is clear

As orthodontic patients seek more aesthetic options, being able to confidently manage treatment with clear aligners will enable practitioners to deliver dentistry that lasts.

The Clear Aligners (Level 1) course from the IAS Academy provides a kaleidoscopic education on this growing treatment choice. The course is presented by Dr Tif Qureshi, Mr Geoff Stone and Dr Guy Wells and covers such cornerstones as occlusal planning, arch evaluation and interproximal reduction.

The seven-hour course will switch from a theoretical morning to a comprehensive hands-on afternoon, all taught by the trio of experienced professionals. You will also have three cases monitored as part of the

of free guides to help dental professionals through the process. A guide detailing how to ramp up a practice’s revenue prior to sale is available via its website.

To find out how Dental Elite can assist with your sale, contact the team today.

For more information contact Dental Elite.

Visit www.dentalelite.co.uk, email info@ dentalelite.co.uk or call 01788 545 900 n

dentalelite.co.uk

certification, ensuring that there is support and governance to keep you clinically safe.

Beyond this, you will have access to the online mentoring support forum, allowing the education to continue long after the course has finished.

Speed is of the essence, and the Clear Aligners course will have you mastering clear aligner treatment in a flash.

For more information on upcoming IAS Academy training courses, please visit www.iasortho.com or call 01932 336470 (Press 1)n

Approaching amalgam waste in different way Kiroku makes a huge difference

Choose a sustainable, cost-effective, compliant solution for your practice with the Back to New – Recycled Collector Cup package from Initial Medical, and help to improve your amalgam waste workflows immediately.

Initial Medical does all the work for you, providing recycled Durr collector cups that have been thoroughly cleaned and returned to the original standard of a new cup. Then, when you need to dispose of your used cups simply place them in the collector cup drum for safe and compliant storage ready for the Initial Medical Service Technician to collect them for recycling at our specialist dental recycling centre.

As a single-use item, you must change your collector cups regularly.

This Back to New – Recycled Collector

Make the complex process of purchasing your dream practice as seamless and as stress-free as possible by choosing DE Finance.

Dr Mahyar Bettany’s recent review tells the whole story: “Tommy was extremely helpful and knowledgeable throughout the entire finance application process. He guided us step by step, provided clear explanations, and ensured that we understood all our options. I highly recommend Tommy to anyone in need of financial assistance. Thank you, Tommy!”

Cup package and service not only helps to protect your in-house equipment, such as your dental pump, but it also offers improved sustainability for your waste workflows. Purchasing this service package is also more cost-effective than buying individual containers and a separate disposal service

Dr Adam Kingsley shares his experience with using Kiroku, the digital note taking platform, throughout his Dental Foundation Training (DFT) so far:

“I first started using Kiroku in the first or second week of my foundation training and, honestly, it’s been a total game-changer. It ensures my notes are consistently good, they’re contemporaneous, and that nothing is left out.

To learn more about the Back to New –Recycled Collector Cups package, contact the team today.

To find out more, get in touch at 0808 304 7411 or visit the website www.initial.co.uk/medical n

For more information contact the Dental Elite team on 01788 545900 https://dentalelite.co.uk/ n A specialist finance broker for dedicated step-bystep support

Not only does DE Finance offer free stress-tests on your prospective practices, the team tailors your application to banks, and expedites your financial processes using long-established relationships with specialists in finance. From consultation to completion, DE Finance is there for you as you make your dream purchase.

Find out more about how DE Finance can support your purchase today!

“I would recommend it to all of my dental colleagues, particularly foundation trainees coming in. With the stress of a new environment, to have something that’s consistently good makes such a huge difference.

reliability in a bottle

Stick to solutions you can trust in your dental workflows, such as the awardwinning* Scotchbond Universal Plus Adhesive from Solventum, formerly 3M Health Care.

Scotchbond Universal Plus Adhesive is the first radiopaque universal adhesive, meaning the risk of X-ray misdiagnoses and overtreatment is reduced for your patients.

In the moment it delivers immediate benefits, such as high bond strength to both caries-affected and sound dentine. It is a suitable solution for all direct and indirect bonding indications, as well as all etching techniques.

With virtually no post-operative sensitivity**, the Scotchbond Universal Plus Adhesive can deliver brilliant care for your

“I’ve

To find out more about Kiroku, or to start your free trial, please visit trykiroku.comn

patients with predictability. To learn more about adhesive solutions that improve your restorative workflows, contact the team today.

©Solventum 2024. Solventum and the S logo are trademarks of Solventum and its affiliates. 3M, the 3M logo and Scotchbond are trademarks of 3M.n

loved it!”

Empowering dental teams

Scott-Munden explores the impact of coaching and mentoring

As a Clinical Quality Manager and registered dental care professional, I understand that the true success of a dental practice is not solely reliant on the clinicians but also the strength and cohesion of the dental team.

Empowering a team through an effective coaching and mentoring programme is fast being recognised as a transformative approach, fostering a culture of collaboration, professional growth, and continuous learning. Introducing coaching and mentoring can have a profound impact on your dental team, so let’s explore how you can implement these practices to enhance performance, job satisfaction, and patient care.

But first, a note on the distinction between coaching and mentoring. Coaching is typically a shorter-term, goal-oriented process that focuses on specific outcomes. Mentoring, by contrast, is a longer-term relationship where someone shares their knowledge, skills, and experience to help a person develop holistically. You may require coaching or mentoring to assist in enhancing a team member’s performance, whether that be an individual who is lacking in certain clinical skills or within administrative challenges. By engaging in coaching the individual will have the opportunity to develop and refine clinical and interpersonal skills. This can be achieved through focused goal setting, allowing the individual to set and achieve both personal and professional goals. Adopting this approach of continuous learning leads to a higher level of competency and assists the individual in maintaining their focus and motivation. As a coach and mentor myself, I have been able to offer guidance and support to my team, helping them to develop their problem-solving skills.

Job satisfaction can also be positively affected. Coaching can assist the practice in creating a supportive and collaborative work environment. Through conversations with your team members, you can unlock career growth and personal development opportunities. Carrying out regular sessions, you will provide a platform to give and receive valuable feedback and recognition – all of which leaves your team feeling valued, understood, appreciated and motivated, thus leading to higher job satisfaction and retention rates. A study conducted by the Institute of Employment Studies concluded that most employees surveyed were fairly satisfied with their jobs. However, six months later, after receiving coaching, there was a clear increase of job satisfaction. The reasons given included that they were helped to develop new skills, and now were able to deal with unexpected events more efficiently as the tangible outcome of their coaching, and it had

increased how settled they were in their place of work.

So, how can engaging in coaching or mentoring lead to improved patient care? With regular coaching, dental teams can maintain their high standards of care, and providing mentors allows best practices to be taught and consistently followed. Some team members may find patient engagement difficult at times, coaching can improve the communication skills of the team and enable them to interact more effectively with the patients, leading to a better relationship and building the trust and rapport required. A cohesive team, fostered through coaching and mentoring, can provide seamless and efficient patient care, reducing potential challenges and overall increasing patient experience and satisfaction.

In practice, I have witnessed the benefit of coaching, which included the increase of team morale, as relationships are built on support and rapport with one another. I remember a newer member of the dental team was struggling with their clinical skills but, with the correct guidance from their mentor, they were quick to identify the expectations of the practice team in delivering the highest standards of patient care.

I too have personally reaped the rewards of being part of coaching. I was at a crossroads in my dental career and unsure on what I wanted to do next but, through regular sessions and in-depth discussions, I was able to uncover a new career path – one that I did not even see on the horizon.

The thought of introducing a coaching culture in your practice may seem a little daunting, however by following some simple steps, which can be imbedded into monthly one to one meetings and mid- and end-ofyear appraisal conversations, you too will see the positive impact it can have on your teams.

Select your coaches and mentors

These individuals do not need to be external. Look to choose a team member or members that have the relevant experience, skills and, of course, a willingness to mentor others. Behaviours to consider are empathy, patience and strong communication skills. Consider offering training to your potential coaches and mentors to ensure that they are equipped with the required knowledge and skills.

Identify goals and objectives

In the coaching/mentoring setting, gain clarity on what the individual would like to achieve, such as enhancing their clinical skills, and consider whether these are in line with your practice vision or goals. It is important to remember that goals should be measurable, relevant and achievable. This will allow you to monitor the return on investment.

develop a structure that works for the practice

This can include regular meetings, discussing goals and carrying out progress reviews. When looking at progress it is imperative that you gather feedback from others regarding the individual’s progress if it is in relation to their goals. Always document conversations and ensure it covers the roles, responsibilities and expectations of both the coach/ mentor and the individual.

Foster a supportive environment

For me, this is the most important part of coaching: building a relationship, you want the employee to feel comfortable and confident that they can share their opinions, concerns and thoughts without the fear of retribution. Look to research tools and techniques that you feel may benefit your team member. The internet is full of useful support tools that you can implement to support the individual further; as we know everyone is unique and one shoe does not fit all.

Celebrate Success

Always recognise the successes and milestones achieved by those being coached and highlight these achievements within the practice to motivate and inspire others. Coaching and mentoring within your dental team are the transformative forces that will enhance the quality of patient care and professional growth by empowering your team to achieve their goals, develop skills and gain a deeper understanding of their role within the practice and the wider dental industry. n

about the author lianne Scott-Munden, Clinical Quality and Complaints Risk Manager at denplan.

Ultimate BASE290

CORDLESS LED CURING LIGHT

• Different curing modes available: 2 standard modes, 2 boost modes

• Light power up to 3000mWcm2

• Wide emission spectrum to polymerize all materials (380nm-500nm)

• Easy-to-use ‘Navikey’ and LED indicators for simple operation

• Various modes of operation with settings for power levels and curing duration

• Power saving mode

• Weight: 152g

• Increased accuracy during surgery with real-time display of actual torque load and RPM on the LCD display

• Powerful LED optic motor

• Up to 40,000 RPM at the motor

• 6 different program functions for various surgery procedures with option for user to change values of gear ratio, torque, rotation speed, direction of rotation irrigation flow

• 9 memory programs to save set values of each function

Ultimate BA695L/BA688L

• 22W power

• Quadruple spray

• Anti-retraction valve

• “Smart coat” - scratch resistant and better grip

• Ceramic bearings

• Available in two head sizes: standard BA695L and

• Effective for removal of dental plaque and tooth stains

• Ideal interproximal and surface cleaning for orthodontic bonding

• Lightweight and ergonomic design

• Comfortable for patient

• Available in two colours (black/ivory)

Getting the value

Sometimes, when I speak to Principals, they ask: “Please can you find me a buyer for my dental practice?” Sometimes, they ask, “What do you do for your fee?”

In our business, the true definition of a buyer is a person(s) or organisation that hands over an agreed sum of money as the deal is legally completed. I have a database of several thousand prospective buyers. Many of them will buy a practice one day. Some of them will buy more than one practice. And an as yet unknown number will never buy a dental practice. But, interestingly, when I am asked to ‘find a buyer,’ I think people often visualise a person(s) or organisation that is a long way from reaching our definition of a buyer.

In this article, I want to share more about what dentists can expect from a good dental broker and what they might be doing for their fee. This is not intended to be a highly detailed description of every step in the process.

In essence, we project manage the sale. We plan the sale process and organise the work of all those involved in it.

Open mindset

We coach and advise on the emotional mindset required to get a deal to completion. This is a business transaction. You will be seeing commentary and negotiating positions based simply on money (£) which you will undoubtedly feel does not fully reflect the value of your practice. We will provide perspective at all stages of

the process to help Principals retain that healthy open mindset.

Valuation

We will provide a go to market valuation with all the supporting rationale for the conclusions we have drawn. We will apply our own market intelligence as well as information drawn from other relevant sources. A practice has to be valued to reflect the market to make it interesting to prospective buyers. If our market valuation does not meet the vendor’s expectations or requirements, then we have to consider what remedial action can be taken and what the timescales are to take the practice to the market. It could mean a delay of years in some cases.

finding a buyer

Finding a buyer is not the same as finding the ideal buyer. We have spent years vigorously gathering the details of everyone and every organisation who is interested in purchasing a practice. GDPR regulations that became law in May 2018 make it impossible for new organisations to compile that information from scratch. We take our practices to the entire market in a confidential way. We do not have a ‘black book’ of buyers. We do not just ‘flip’ practices to corporates. This is the only way to find the ideal buyer for a practice. Along the way we will find several parties who want to buy the practice but we are not looking for them. We are looking for the ideal buyer, who will buy the practice. One way I can guarantee a Principal will not

find the ideal buyer is by working with an organisation who takes fees from the buyer and represents the buyer. Only work with brokers who you pay and who represent you. This is a subject in itself which I am happy to discuss with anyone.

negotiating a deal

The focus is on leveraging interested parties to get the best deal with the best terms that are aligned to the vendor’s objectives. I take calls from Principals regularly who have found buyers themselves who turn out not to be ideal buyers. Their buyers delay, they don’t have the funds, they make unreasonable demands, etc, etc. We advise our clients what a good deal looks like for them in the current market. We want our clients to make informed decisions that work for them.

Ongoing negotiations

When a deal is agreed, the purchaser and their representatives get the chance to drill into all the details of the practice. This is where they undertake their ‘due diligence’ to satisfy themselves and their lenders that what they are buying is what they think they were buying and that the amount they are paying stacks up.

Our role is to hold the purchaser to their offer or renegotiate on your behalf in the event genuine issues arise, which will affect the goodwill. We will also work with both parties to mitigate any identifiable risks. Re-negotiating the prices is often not necessary to resolve an issue.

it is a 90-minute game

Business time between agreeing a deal and completing is variable. If the price is aligned with the market and enough time is allowed to get a result, then all transactions should complete. The main exception to this rule is some corporates who withdraw from deals with no notice because it is part of a wider restructure or refocus. We have examples where practices are sold within a couple and weeks and some which take two years.

What do we do for our fee?

Forget about all the milestones I have just shared. It is widely agreed that vendors sacrifice 20%-30% of the value of their business when they do not go to the entire market and negotiate their own sale. It makes sense: most Principals are not trained business sellers and private buyers are often trained buyers. If a dental practice is worth £800,000 and you agree a sale 20% off the full market price, because you have no comparable data and no one representing you, then you are giving the buyer a discount of £160,000. If your broker can secure the ideal buyer who will pay the full £800,000, then they will deliver an ROI in the region of seven times the fee they charged you. Hence the adage, focus on the value and not the cost. n

about the author chris Mayor, commercial Director at Lily Head Dental Practice sales.

The power of momentum in marketing your dental practice

Maintaining momentum in your marketing efforts is not just beneficial; it is essential for longterm success. In this context, momentum refers to the consistent effort and progress in your marketing strategies. It involves regular outreach, ongoing engagement with your patients, and the pursuit of new opportunities. Here’s why maintaining momentum can significantly impact the growth of your practice:

1. building and maintaining brand awareness

Momentum in marketing ensures that your name remains visible and top-of-mind for both potential and existing patients. In the highly competitive dental industry, being easily recognisable and memorable can set you apart from other practices. Regular marketing activities, such as social media updates, email newsletters, and community events, keep your practice in the public eye. When patients need dental services, they will think of your practice first if they have been consistently reminded of your presence and expertise.

2. establishing trust and credibility

Regular and reliable marketing communication helps build trust and credibility with your patients, who are more likely to choose a dental practice that they perceive as stable and reputable. By maintaining a steady flow of helpful content, such as educational blog posts, patient testimonials, and informative videos,

you can demonstrate your commitment to patient care and education. This consistency reassures potential patients that your practice is trustworthy and reliable, ultimately driving more appointments and referrals.

3. enhancing patient engagement Engagement is a key factor in patient retention and satisfaction. Momentum in your marketing efforts means your patients will feel connected to your practice. Regular interaction through social media, personalised emails, and follow-up calls creates a sense of community and loyalty. Engaged patients are more likely to return for regular check-ups, follow through with treatment plans, and recommend your practice to their friends and family. This ongoing engagement helps to foster long-term relationships that are crucial for the growth of your practice.

4. staying ahead of competitors

Standing still is not an option in the competitive dental industry. Your competitors are likely working hard to attract and retain patients, so you must strive to stay ahead. Momentum in marketing keeps your strategies fresh and adaptive to changing trends and patient needs. By regularly analysing your marketing performance and adjusting your tactics accordingly, you can take advantage of new opportunities and address potential risks before they impact your practice.

5. Maximising ROi

Marketing momentum is key to maximising your Return On Investment (ROI). Sporadic

or one-off marketing efforts often fail to generate significant results because they do not build the necessary awareness or trust, whereas sustained marketing efforts compound over time, leading to increased recognition, patient loyalty and, ultimately, higher revenue. Consistent marketing allows you to fine-tune your game plan based on real-time feedback and performance metrics, ensuring that your marketing budget is used effectively and efficiently.

6. adapting to market changes

Like any other industry, dentistry is subject to changes and trends. Momentum in marketing enables you to stay responsive to these shifts – whether it’s the adoption of new technologies, changes in patient behaviour, or new industry trends. By staying informed and proactive, you can leverage these changes to your advantage, ensuring that your practice leads the way.

7. Driving continuous growth

Stagnation can lead to complacency, which is detrimental to any business. By maintaining a steady pace of marketing, you can build up a network of potential patients. This continuous effort helps build a strong and adaptable practice that can handle market changes.

strategies to maintain marketing momentum content calendar: Develop a content calendar to plan and schedule your marketing activities in advance. This ensures

consistency and allows you to strategically align your plans with key dates and events. a utomation tools: Use marketing automation tools to streamline repetitive tasks such as email campaigns, social media posts, and follow-up communications. This also helps maintain consistency without overwhelming your team.

Performance monitoring: Regularly track and analyse your marketing performance to identify what works and what doesn’t. Use this data to refine your strategies and move forward.

Patient feedback: Encourage and incorporate patient feedback into your marketing. Understanding patient needs and preferences allows you to tailor your messaging and improve engagement.

Professional development: Keep updated with the latest marketing trends and techniques. This ensures your strategies remain relevant and effective. Momentum in marketing is not just good business, it is a necessity. By maintaining a consistent and proactive approach, you can build awareness of your dental practice, establish trust in your community, and increase engagement with new and regular patients. n

about the author cally Walker, business Leader at connectmymarketing.com

Wipe material made of plastic-free and climate - neutral fibers

Increased coverage and more yield per wipe

Natural fibers from certified forestry

E fficient and environmentally friendly production process

The new disinfection wipes

Itʼs now easier to bring sustainability into your practice disinfection protocols, with the new FD350 Green wipes from Dürr Dental. Each are made from plastic-free natural fibres and are manufactured in an environmentally friendly way. As well as being good for the planet, theyʼre also good for your pocket, as they provide greater coverage, without compromising efficacy. Dürr Dental – environmentally conscious for a better future. More at www.duerrdental.com

Business breakthroughs

Though all dental practices exist to support patients’ oral health, they must also run efficiently as businesses. With so much going on in the practice every day, it can be difficult to keep an eye on every aspect all of the time and this can lead to silos developing across the business. Addressing these and preventing them in the future is crucial for building up business resilience and achieving long-term success.

What are business silos?

Business silos are parts of a business that are working independently from the rest. They typically develop over time and can result from an inconsistent or lack of business strategy – so people end up doing their own thing within their respective departments. In the dental practice, this might mean that the dental hygienist and dentist work in isolation, without effectively collaborating in appropriate cases. It could also involve a lack of coherence between stock management or ordering and what the clinical team actually need. Another example is when the business development or management team have different goals and perceived business needs than the clinical staff.

The result of business silos is inefficient processes, duplicative work, under-utilised skills and higher financial costs.

bringing the business back together

To address silos or prevent them altogether, it’s important to create united and cohesive processes. The tools and

technologies used are often just as important as how people are managed. Some simple steps to bring the business together again may be:

establish business objectives

These business goals will be critical in successfully steering the practice in the desired direction. They will also provide clarity for staff and make it easier for all decisions to be made with the ultimate business objectives in mind.

Review your internal communication

Communicating your business strategy and goals is crucial to ensure that everyone understands where the practice is heading and what the priorities are. Even more than this, effective internal communication is important for creating a culture of transparency and cooperation. There must also be a two-way conversation, giving all team members an opportunity to share their own thoughts, concerns and requests.

standardisation

Of course, not all areas of dentistry can be standardised – every patient is different and their clinical care will need to be as unique as them. However, many processes can be made uniform, from the decontamination workflow to the ordering system. This allows different staff to complete the same tasks in the same way and therefore maintain consistency throughout the business.

Review your systems and technologies

By implementing technologies and platforms that facilitate collaboration among professionals, you can enhance teamwork, optimise patient care and increase daily efficiencies. There are a myriad of systems available on the market today that can support and improve everything from practice management to diagnostics and treatment planning. Make the most of them to create a more connected team and business.

Training and professional development

It is just as important to ensure that team members have access to ongoing training and education, especially as you introduce new technologies. This enables everyone to evolve together and continue operating cohesive systems. It also provides an opportunity for individuals to develop in their careers, which boosts job satisfaction, team morale and staff retention, and willingness to go that extra mile for patients. Professional education can also help staff to better understand their colleagues’ skills and capabilities that, in turn, will increase skill mix utilisation.

Promoting togetherness

To further encourage a sense of community and togetherness among the practice team, it’s necessary to provide socialising opportunities for individuals to join. The better people know each other and the more comfortable they are, the better they

Selling to a body corporate

Anumber of dentists may wish to sell to a body corporate without going to the open market. So, is it as easy as contacting a corporate or two? And are there any missed opportunities?

Valuations

First of all, it is important for you to have an impartial valuation of your dental practice. Not only will this provide you with an assessment of what your practice is worth, but an experienced sales agent can also provide ways in which the valuation of the practice can be enhanced. Typically, if we assume a valuation of 7 x EBITDA (earnings before interest, taxes, depreciation, and amortisation), just finding a cost saving of £10,000 would mean a difference in value of £70,000 in value. This will often be the case.

adjustments

When calculating the EBITDA, it is important that as a valuer we are determining what adjustments should be made. This is not something that a corporate may do on your behalf, as it is simply adding value to your practice, and does need some level of detailed understanding of your accounts and practice.

enhancements

Enhancements can then also be considered. These are things which can benefit the EBITDA of the practice but is not simply an adjustment, which is a personal cost of the practice. These tend to be ways in which the practice could run slightly differently. Whilst there isn’t a specific list to run through, there is certainly value that an experienced valuer/agent can bring in looking at these prior to corporates being provided with the information.

A recent client or ours benefited from £40,000 of increased EBITDA, leading to an increase in value of £280,000. Again, this is not something that a corporate would identify for you and is likely to amend post sale – so they would get the benefit of the improvement but without having to pay for this.

using an agent

Whilst there are the common household names, there are many smaller/newer corporates who may also be interested in the practice, and often would offer less onerous terms. Even where you have decided that a sale to a body corporate is your preferred route and you may have one or two preferred corporates, we can still do all of the work for you. Corporates are very experienced buyers, and it is prudent to have someone as experienced acting on your behalf.

Better still, if we approach the corporates on your behalf, as they are all signed up to the PFM priority buyer scheme, you get our expertise but they will still cover the agency fees.

corporate terms

With a corporate, there will often be a requirement for the principal to remain at the practice post sale. This may then require part of the sale price to be held back (deferred consideration), which may be conditional upon the likes of turnover being maintained for a number of years. As an experienced agent dealing with the corporates, we can help reduce the retention and risk associated with this, and build further protection that won’t be automatically offered by the corporates.

Whether you are looking to contact multiple corporates or one specific one that you would like to sell to, you can use PFM to negotiate on your behalf, with all of the experience, but without having an agency fee. n

will work together. That’s why attending professional events is so important – they enable the whole team to learn new skills, be exposed to exciting new technologies and enjoy some time outside the practice with their colleagues.

BDIA Dental Showcase remains the largest and longest-standing dental exhibition in the UK, making it the perfect platform for the entire dental team to learn, network and advance in their careers. Several exhibitors are entirely unique to this show, giving you an exclusive chance to engage with industry-leading brands and discover game-changing technologies designed to elevate your business. There will also be various business experts on hand to offer bespoke advice and guidance, helping you take your practice to new heights. Plus, this is a great opportunity to have some fun with colleagues and even perhaps take the team out for a meal after a day of learning to say thank you for their hard work.

To build your business up, it’s important to first break it down. Identifying and addressing silos across the practice is the first step to creating a coherent and collaborative culture.

bDia Dental showcase 2025 14th-15th March exceL London dentalshowcase.com Register your interest for 2025 at dentalshowcase.com/register-interest-pr n

PFM Dental offers a comprehensive range of professional services exclusively for dentists. Since 1990 we have been trusted advisers to the dental profession with a hard won reputation for sound, ethical and independent advice. Our services incorporate 4 key departments: practice sales and valuations, independent financial advice, dental accountancy and dental legal services.

https://pfmdental.co.uk/

about the author Martyn bradshaw is a Director of PfM Dental and heads up the dental practice sales agency.

We would absolutely recommend Eschmann equipment & the Care & Cover maintenance programme.

Practice Manager . recommend

“ ”

Call in the experts Contact us for your FREE Care & Cover package quotation.

Equipment, service & support you can rely on.

Our nationwide team of over 50 highly trained engineers work exclusively on Eschmann products, enabling us to provide an unparalleled level of professional support to our customers.

Our engineers are all equipped with the necessary tools & spare parts to ensure that your Eschmann products are working effectively & to their maximum potential. With access to unlimited spare parts & labour included in our Care & Cover service package, you can be confident that your decontamination equipment won’t let you down.

Experience Eschmann excellence at www.eschmann.co.uk, or call us on 01903 875787.

Assessing some influences on the owner-occupier dental sales market

Despite a consistently high level of interest in purchasing dental practices, 2023-24 was a quiet year in dental mergers and acquisitions (M&A). There was still the intent and the hunger to buy, but some buyers – particularly individuals – were less willing to commit to debt that would be more challenging to service, opting to watch and wait. NHS practices were particularly affected by the slowdown, caused by a combination of interest rates, UDA rates and recruitment issues.

However, the last few months have brought promising changes, with levels of interest looking very similar to pre-COVID levels. The type of practice new buyers are able to afford has changed due to a number of factors worth discussing in more detail. Multiples can still reach 5x for owner-occupier sales, but only where there’s a reasonable cause for doing so. For example, location still plays a significant part.

Interest rates

The market was definitely affected by the reality of high interest rates. In a relatively cash-rich marketplace, some buyers – predominantly corporate buyers – did, however, use this as an excuse to negotiate more favourable prices. In some cases, interest rates were leveraged as a negotiating tool rather than authentically driving the market.

Interest rates certainly have affected which buyers have been attracted to the market in the last 18 months. Many dental

associates still have the aspiration to buy, but many challenges associated with the higher cost of borrowing have changed the calculations, making it less appealing.

With the base rate at 5.25% over the last year, for every £1 million borrowed, an extra £52,500 has been required to service the debt. Pre-COVID, a £1 million practice might typically have generated about £600k to £700k in revenue per year. The principal would generally have expected to take home around £170k to £180k worth of earnings. The harsh reality now, is that those earnings would be significantly reduced by the difference in annual loan service costs.

The recent market has favoured a more business-like buyer. Many purchasers aren’t interested if they can’t grow the business. There is a ceiling price on a single-chair practice producing 9,000 UDAs per year. If a buyer has to commit to 10 to 15 years just servicing a contract, benefiting only from clinical profits, where is the arbitrage?

UDAs and recruitment

The challenge has come not just from interest rates. Issues around recruitment have contributed to buyer caution. Profits have further been compromised for principals due to higher associate rates, with UDA rates not necessarily covering the cost. NHS practices have been the worst hit by increasingly tight margins over the last 4 years.

Many practices have had to increase UDA rates by up to 10% – 15% or

higher to attract associates, which has hugely affected margins. Now you can’t even guarantee a recruit with £15 a UDA. The new average of £11 – £14 UDA for associates has changed the landscape for buyers. Never mind the 20% increase on wages.

Whereas just after COVID, a dentist would have been better off as a practice owner, they might now be better off as an associate due to UDA rates being offered and the increased cost of debt

Where do we go from here?

Since 2023, there has been a reassessment about what certain practices are worth. Many buyers paused and sat on the market, expecting a huge turn, but that didn’t happen. There has been a sudden change within the last three months. Activity and viewings are now back at preCovid levels. Buyers are more confident in pricing, borrowing, and in the future.

First time and second time buyers represent about 67% of the current market, pretty much all of whom are confident enough to borrow, and banks have proven eager to grant loans.

The importance of a professional valuation

Multiples for sales to individuals have ranged between 1.57x to 5.56x across the UK, but this difference reflects individual variables above and beyond location that are important to note.

Location alone is not the end of the story. The higher end of the market consists

Sharing support for shares

The economy has been a spiralling, uncontrollable force in the last few years. As the impact of the pandemic, foreign wars, inflation and energy prices have made everyday commerce an uphill struggle for many, financial security is a common goal. It is challenging for savers to find inflation-beating returns on their money in the current climate. With the fluctuating temperament of the economy, it is worth considering investing in the stock market. Despite the risks involved, returns from stocks and shares have historically outstripped cash returns in the long-term, making them an effective way to grow your income – providing you have the right knowledge and experience.

Buying and selling shares requires a lot of time and attention. Across websites and apps you can track the companies you are interested in, but choosing what to buy, when to do it, how much of it, and how much for can be daunting decisions. Choosing when to sell and for how much can be just as hard. Amidst the busy workload of your profession and finding time for your personal life, closely monitoring the

stock market may be a task too far. Hiring a financial advisor can be a major asset.

An advisor can help you determine which option is best: do you want someone to buy and sell shares when you instruct them to, do you want someone in an advisory role to guide you in your financial decisions around shares, or do you want to entrust an expert with buying and selling shares according to the risk you have stated you’re willing to make?

Some experts have a minimum fee but most take their payment as a commission from selling your shares. Identifying the flat-rate or the commission cut among the different options will determine which firm and which stocks you want to work with or trade in, as you want to lose as little of your investment returns as possible to accounting fees.

Tax can also knock your investment.

Gains made from stock sales must be reported to the Internal Revenue Service (IRS); your tax liability will go up if shortterm stocks are often bought and sold. To counteract this, focus on long-term investments, which have fewer fees and are therefore more cost-effective.

Ensuring that the advisor you want is registered with the Financial Conduct Authority (FCA) will make your trading a safer proposition. The FCA oversees the conduct of 45,000 businesses to ensure that the financial market is working well for individuals, businesses and the economy. Those registered with the FCA will trade with your best interests at heart. money4dentists is an FCA registered team of specialist independent financial advisers that is dedicated to serving the needs of dentists. With decades of experience and a remarkable track record for success, money4dentists can begin to support your decisions in buying and selling shares according to your risk preferences and financial capabilities. Their expert team can define your financial goals and help you understand your investment journey. As inflation and cash-savers falter, consulting a financial expert to anticipate the market can secure your financial stability.

For more information, please call 0845 345 5060 or 0754DENTIST, email info@money4dentists.com or visit www.money4dentists.com

mostly of mixed NHS/private practices, grossing around £600k. At the other end are mostly private or very small NHS practices averaging at around £300k – £350k gross, but so many other factors come into play. You could be in London or Manchester with a very unsellable practice, or you could be in Ipswich with a very sellable practice.

It is important to work with a professional to look behind the data when entering the dental M&A market, as ranges and averages might be misleading without the accompanying rationale. Dental Elite has over 14 years of specialism in the dental sales market. Their approach always involves working closely with clients through every aspect of the sale, from the initial consultation, to implementing any changes that might improve their valuation, to matching clients with the right buyers, to managing compliance with regulations, to exit planning.

The future looks bright for dental M&A, but to achieve results that genuinely work for you and your circumstances, it is key to work with an experienced specialist and get a tailored valuation.

For more information on Dental Elite visit www.dentalelite.co.uk, email info@dentalelite.co.uk or call 01788 545 900 

About the author Luke Moore is one of the Founders and Directors of Dental Elite.

Email info@money4dentists.com or visit www.money4dentists.com.

We’re a specialist dental practice sales agency, so whether you are looking to sell your dental practice on the open market, selling to your associate or intrigued with Corporate interest, we’ve helped thousands of dentists like you.

You cannot be in better hands with our expert valuers, a single point of contact throughout the sale and in-house legal team, allowing us to

We work with dentists all over the UK

Our scale and reach means we’re here to help wherever you’re based

Practice sales over the past 12 months 50+

Current dental accountancy clients 1200+

Practice finance raised in the last year £15m+

Expert Valuations

Accurate valuations for associate & principal led models with advice on enhancing the practice value.

advise you from start to finish. Supportive Throughout

We liaise with solicitors, buyers, and CQC to ensure everything is in place to minimise stress and give a smooth sale.

1000s of buyers

Get access to 1000s of pre vetted purchasers, being individuals, small groups and all of the major corporates.

In House Legal

We have specialist dental solicitors with expertise in commercial law, property law, and CQC processes.

Offer Negotiation

We will ensure your practice attracts the best possible price by negotiating the sale on your behalf.

Fee Free Sale

95% of our NHS practices sell to priority buyers meaning the purchaser covers the agency fee.

BRILLIANT Lumina

Natural bright smile

H2O2 was yesterday! PAP is the future of tooth brightening.

An innovative in-office solution – the first formula without hydrogen peroxide and carbamide peroxide.

An asset for your practice

● Satisfied patients

No tooth sensitivity during or after treatment.

● Gentle on the tooth structure

Analyses of tooth surfaces show no erosive effect on the tooth structure.

● Simple treatment protocol

The uncomplicated application can also be performed by dental practice staff.

Turn static files into dynamic content formats.

Create a flipbook
Issuu converts static files into: digital portfolios, online yearbooks, online catalogs, digital photo albums and more. Sign up and create your flipbook.