
































































![]()

































































Adults could one day grow their own replacement teeth instead of having fillings – as scientists make a key discovery. This research offers a potential way to repair teeth and a natural dental treatment alternative.
While some animals like sharks and elephants can continuously grow new teeth, humans only have one set from adulthood. The ability to regenerate teeth would be a major leap forward for dentistry.
Unlike implants and fillings, which are fixed and cannot adapt over time, a labgrown tooth made from a patient’s own cells could integrate seamlessly into the jaw and repair itself like a natural tooth.
World-leading research is taking place into this field at King’s College London, where scientists have explored lab-grown teeth for more than a decade.
Xuechen Zhang, from the Faculty of Dentistry, Oral & Craniofacial Sciences, King’s College London, said: “Fillings aren’t the best solution for repairing teeth. Over time, they will weaken tooth structure, have a limited lifespan, and can lead to further decay or sensitivity. Implants require invasive surgery and good combination of implants and alveolar bone. Both solutions are artificial and don’t fully restore natural tooth function, potentially leading to long-term complications.”
“Lab-grown teeth would naturally regenerate, integrating into the jaw as

real teeth. They would be stronger, longer lasting, and free from rejection risks, offering a more durable and biologically compatible solution than fillings or implants.”
In the latest study, the King’s team, in collaboration with Imperial College London, made a key discovery on the environment needed to grow teeth in the lab. They have now successfully introduced a special type of material that enables cells to communicate between each other. This means that one cell can effectively ‘tell’ another to start differentiating into a tooth cell. This mimics the environment of growing teeth and allows scientists to recreate the process of tooth development in the lab.
Xuechen said: “We developed this material in collaboration with Imperial College to replicate the environment around the cells in the body, known as the matrix. This meant that when we introduced the cultured cells, they were able to send signals to each other to start the tooth formation process.
“Previous attempts had failed, as all the signals were sent in one go. This new material releases signals slowly over time, replicating what happens in the body.”
Having successfully created the environment needed to grow teeth, scientists are now faced with the challenge of getting them from the lab to a patients’ mouths.
Xuechen added: “We have different ideas to put the teeth inside the mouth. We could transplant the young tooth cells at the location of the missing tooth and let them grow inside mouth. Alternatively, we could create the whole tooth in the lab before placing it in the patient’s mouth. For both options, we need to start the very early tooth development process in the lab.”
The research is part of a broader effort in regenerative medicine, which aims to harness biology to repair or replace damaged body parts. Instead of relying on artificial materials like metal implants or dentures, researchers are working to grow natural replacements using stem cells and bioengineered environments.
Corresponding author of the paper Dr Ana Angelova Volponi, King’s College London, said: “As the field progresses, the integration of such innovative techniques holds the potential to revolutionise dental care, offering sustainable and effective solutions for tooth repair and regeneration.
“The work being conducted at the Faculty of Dentistry, Oral & Craniofacial Sciences at King’s College London exemplifies the cutting-edge research driving this transformation, highlighting our Faculty’s commitment to advancing oral health through scientific discovery.”
Read the paper, published in ACS Macro Letters: https://pubmed.ncbi.nlm. nih.gov/39532305/
The General Dental Council (GDC) has published its annual Registration Statistical Report for 2024, showing an increase in the number of dental professionals on the register.
The report, which includes comparison data from previous years, highlights that in December 2024 there were 125,736 dental professionals, made up of 46,362 dentists and 79,374 dental care professionals, on its register.
The most significant change in the register was the 23.5% increase in dental therapists with 1,402
new registrations, and the 9.6% increase in dental hygienists, with 921 new registrations. The number of dental nurses increased by 3,349 (5.4%).
The regulator’s report indicates that 53% of dentists who joined the register in 2024 were UK-qualified, 30% were EEA or rest of world qualified and 16% came through the Overseas Registration Examination (ORE) route.
Although the number of dental professionals increased overall, the number of dental technicians declined for the fifth year in a row, with only
5,025 now registered and almost 10% fewer dental technicians compared to 2020.
The GDC’s Registration teams assessed 12,978 applications across all routes, an increase of 13.1% on the previous highest number of applications processed in 2023 (11,476).
There were 9,888 additions to the registers in 2024 (2,164 dentists and 7,724 DCPs).
Dental nurses make up over 50% of all those registered with the GDC.
































May is always such a busy time for us here at The Probe. That’s not a complaint, as we have plenty to be excited about.
On Thursday 22nd May, at midday, the finalists and winners of the 2025 Dental Awards will be revealed at the-probe.co.uk and via our YouTube channel (https://www.youtube.com/@theprobemag). You will also find the full list of winners and finalists in the next issue of this here magazine. As for this issue, you’ll find a fantastic interview with 2024’s Dentist of the Year, Rachel Derby, over on page 48.
May is also National Smile Month, kicking off officially on 12th May and running until the same date in June. The theme this year is ‘Feed Your Smile’, exploring the role of diet in a good oral health routine. Lianne Scott-Munden takes a more in-depth look on page 40.
And, of course, we have the Dentistry Show taking over Birmingham’s NEC on the 16th and 17th. We’ll be there, wandering around the hall, so feel free to say hi if you see us.
Happy reading!









The Probe is published by Purple Media Solutions.
Registered in England.
Registered number 5949065
Managing Editor: James Cooke
Commercial Director: Gary Henson
Divisional Administrator: Francesca Smith





Production Designer 1 : Lorna Reekie
Production Designer 2: Rob Tremain
Digital Content Manager: Stephen Wadey
Circulation Manager: Andy Kirk
Managing Director: Ed Hunt
Regular Contributors: Lisa Bainham, Nigel Carter, Barry Cockcroft, Ollie Jupes and Pam Swain
E-mail news, stories or opinion to james.cooke@purplems.com
Circulation/Subscriptions: The Probe Subscriptions, Perception SaS, PO Box 304, Uckfield, East Sussex, TN22 9EZ, Tel: 01825 701520, https://purplems.my-subs.co.uk ©Purple
Media Solutions Ltd, 2014. All rights reserved. ISSN 0032-9185. The publisher’s written consent must be obtained before any part of this publication may be reproduced in any form whatsoever, including photocopies, and information retrieval systems. While every effort has been made to ensure that the information in this publication is correct and accurate, the publisher cannot accept









liability for any consequential loss or damage, however caused, arising as a result of using information printed in this magazine. The views expressed in The Probe are not necessarily the views of the magazine, nor of Purple Media Solutions
Editorial Advisory Board: Dr Barry Oulton, B.Ch.D. DPDS MNLP; Dr Graham Barnby, BDS, DGDP RCS; Dr Ewa Rozwadowska, BDS; Dr Yogi Savania BChD, MFGDP; Dr Ashok Sethi, BDS, DGDP (UK), MGDS RCS; Dr Paroo Mistry BDS MFDS MSc MOrth FDS (orth); Dr Tim Sunnucks, BDS DRDP; Dr Jason Burns, BDS, LDS, DGDP (UK), DFO, MSc; Prof Phillip Dowell, BDS, MScD, DGDP RCS, FICD; Dr Nigel Taylor MDSc, BDS, FDS RCS(Eng), M’Orth RCS(Eng), D’Orth RCS(Eng); Mark Wright BDS(Lon), DGDP RCS(UK), Dip Imp Dent.RCS (Eng) Adv. Cert, FICD; Dr Yasminder Virdee BDS. Readers who






















Over its 30-year history, the BORA turbine has continued to reaffirm the quality of its engineering. Its reliability and service life are self-evident.





Because of the trust you have placed in it, we wanted to ensure that this legacy continues. The new design of the BORA 2 turbine provides even better performance, whilst retaining the legendary reliability which has characterised previous versions since 1991. From
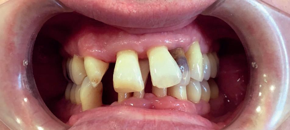
Ithink I know a LITTLE bit about abandonment.
In 1974, many years before I took the bizarre and doom-laden decision to study dentistry, I was working for a small Midlands weekly newspaper as a junior reporter. The newspaper was owned by News International, in turn, owned by Rupert Murdoch. One day, our editor told us that we were getting a new temporary chief reporter, seconded from one of Sydney’s daily newspapers, also owned by Mr Murdoch.
I won’t give his full name, but our new chief, John H, was a great, fun bloke. On the day he arrived at our offices, he turned up wearing a cork hat and carrying a surfboard on his shoulder, just to make us laugh. To complete the image of a Wild Colonial Boy, John had a severely broken upper left central incisor, which he had boonted (Australian for buggered) during a squash game the week previously. Down in the car park was his second hand VW Kombi. The stereotypical picture of an Aussie was complete.
But John H wasn’t all fun. He was a serious journalist and, within a week of arriving at the paper, he began piling three of us junior reporters in the office Mini at 9.00am on Monday mornings, dropping us off at various small towns and villages in our circulation area, and telling us to come back with “at least three bloody good stories.”
We were pretty much abandoned in places we didn’t know and had to fend for ourselves with no senior reporters around to guide us. (No mobiles, don’t forget). He would pick us up at about four in the afternoon, by which time we were cerebrally frazzled, numb and anxious that our stories wouldn’t stand up to microscopic Ozzy scrutiny. The dental equivalent would be the first time you are presented with a few sheets of wax, a Bunsen and a semianatomical articulator, and told to make a set of complete dentures.
The reason John H sprang to mind is that my wife and I have just returned to the UK after a month in Australia visiting my brother-in-law at his home in Bowral, New South Wales, about 70 miles south of Sydney. My bro-in-law – I shall call him Bruce – was a Ten Pound Pom who left his safe trainee manager’s post at WH Smith in the early 1970s to find his calling in the Antipodes. After spending a lot of time in Bali, Bruce set up a successful business importing Indonesian artwork. Bruce has two daughters and two grandchildren, with another grandchild on the way in August, to Angela, his youngest daughter and her husband Simon.
Whilst we were in Oz, Simon – a self-employed joiner who works mainly in housebuilding and refurbishments – underwent an operation on severely damaged shoulder ligaments, as well as a procedure to repair a biceps tendon on the same arm. Because of the waiting times for Medicare treatment (the Public Healthcare System) being so longn, Simon would have had to have waited over a year for treatment, during which time he couldn’t have worked –the couple were forced to go private at a
cost of 20,000 Australian Dollars (AUD), or £10,000 at the current exchange rate. This was a day procedure. He was discharged the same day as the op.
I have since learned that, at the beginning of 2025, about 55% of Australians have some form of private health insurance, supplementing the universal public healthcare provided by Medicare, which appears to fall well short of the widespread services provided by the NHS. Whilst Medicare remains the primary healthcare provider in Australia, it appears that a significant portion of the population opts for private health insurance to access ‘additional’ services and benefits, despite paying for Medicare through general taxation and the Medicare Levy, which is usually 2% of taxable income.
Where the Australian public healthcare system REALLY seems to fall down though is, yes, you guessed it: dentistry.
Adult dental patients are pretty much abandoned as far as Medicare is concerned, with dental care being largely excluded from standard Public Healthcare System benefits. This means that most adult patients typically have to pay out-ofpocket or use private health insurance that includes dental cover.
For low-income earners and some eligible groups, they MAY be able to access subsidised or free dental care through public dental clinics although access can vary from state to state. Waiting times can be long.
For children, care is governed by the Children’s Dental Benefits Schedule (CDBS). Medicare covers eligible children between the ages of two to 17 for up to $1,095 over two years for basic dental services. This is roughly £550. Though including exams, X-rays, cleaning, fillings, and extractions, families must receive certain meanstested ‘Centrelink’ Family Tax Benefit payments to qualify, and not every family with children automatically receives this benefit.
The public health Medicare system MAY cover dental surgery performed in a public hospital – especially if it’s deemed to be medically necessary - examples being severe infection, injury, or oral surgery related to other conditions.
The Aussies I spoke to about their dental health system seemed to be at ease with the situation, adopting a laissez-fair, ‘no worries’ attitude to their dental access. It was obviously only my wife and I that were mildly alarmed at the apparent inadequacies in terms of access to public health dentistry for your ‘standard’ adult and child, though that’s probably because I had an NHS contract from qualification to retirement, while my wife had to listen to me whingeing on about it for nigh on 30 years.
To me (from the outside and now over 10,000 miles away), it looks like teeth have been as good as abandoned by the Australian public health service and my fear is that we are only a brief stopover in Dubai before reaching that point ourselves. Since the Aussies lived under mostly privately funded healthcare before the 1970s,

with Medicare only being introduced in 1984, they seem to be used to the idea that teeth can pretty much fend for themselves. But should they?
Aneurin Bevan had a clear and overriding philosophy behind his setting up of the National Health Service: healthcare should be a right, not a privilege. And surely, overall healthcare MUST include dentistry?
Organisations like Toothless In England and the British Dental Association, and thousands of dental professionals, and millions of UK citizens accept that dentistry is healthcare, but the people in Government still haven’t grasped the concept of what constitutes a crisis. And strewth, is this a crisis, or what? Well, the UK’s Public Accounts Committee (PAC) certainly thinks so having said that the national dental plan set out by the former Tory Government had “comprehensively failed.”
It certainly feels like dentistry and patients have been abandoned when a Freedom of Information request by the Liberal Democratic Party revealed that there were 16,100 A&E attendances related to tooth decay in 2024, and nearly 3,000 of those patients were children.
When I first qualified in the late 80s, I began on my own as an associate in a practice owned by a dentist from the Cotswolds, who ran it as a branch practice. One of my nurses was an extremely funny Aussie from Brisbane. She was new to dentistry and was keen to learn, but her nickname for me – TO MY FACE – was ‘flossie’.
Occasionally, if exasperated, she would call me a ‘big dag’. It was only many years later, when Google arrived, that I found out what a ‘dag’ was. (Look it up – the sheep one). One day she remarked that BDS stood for ‘Big Dag Society’.
If this Government lets the NHS go the way of Australian dentistry and totally abandons it, then there’ll be no doubt who the big dags are. I’ll say it again. Strewth! n
About the author ollie Jupes is the pseudonym of a former nHs dentist. He monitors dentistry on twitter X as @DentistGoneBadd















For more information and to speak to your local representative, scan the QR code



INCREASE TREATMENT ACCEPTANCE BY YOUR PATIENTS
Better understanding of the suggested treatment plan.
INCREASE TRUST AND PATIENT CONFIDENCE
Communicate any changes from visit to visit.


ENHANCE THE VISIBILITY OF INFLAMMATION & DISEASE

Detect plaque, gingival inflammation and caries.









We are all familiar with the idea that there are different views of treatment held by clinicians and patients. There is an obvious reason for this during an operative procedure of course, when the turbine is whizzing, or the impression material is setting. The actions involved can be so second nature that the clinician hardly notices. The patient in the chair, mouth open, lip numb, under a spray of water from the high speed, has an entirely different view. In a broader sense, a worldview from different perspectives will create different opinions and expectations. Clinicians must appreciate this if they are to minimise potential difficulties in their interactions with patients.
There is no single approach to understanding patient perspectives. Obviously, transmitter and receiver need to be attuned to achieve clear and effective exchanges. It is not always easy to achieve but the chances are increased if you ‘get’ where the other person is coming from. This is easier when you share a generation.
Generalisations
The phrase ‘generation gap’ was first coined in the 1960s, a decade that witnessed all sorts of rapid societal changes. But the idea behind it, of generational differences in attitudes and behaviours, goes further back. Older members of society criticising ‘kids these days’ and younger generations considering their elders as ‘out of touch’ is nothing new. Nor is the tendency to lump together sections of the population into neat demographic groups. It is tidy and convenient to do this.
The risk with generalisations is that they attribute characteristics to an entire cohort of people. What is applicable to the group as a whole may not be such a good fit for the individuals within the group, so there is the danger of ecological fallacy – of inferring that an individual will possess the characteristics of the group. They might, have of course, but they might not, so it is important not to lose sight of the individual. Having said that, what is also true of the paradox of sweeping generalisations is that you cannot say that they are never accurate. Stereotypes do come from somewhere. There are some typical Geminis, and basketball players
are taller than jockeys as a rule. So, taking a pinch of salt to avoid overgeneralising, here are some things to be aware of with respect to those born between approximately 1997 and 2012 – Generation Z, iGen or Zoomers. You might be one yourself, of course.
This is the first generation of digital natives, growing up from birth in an IT world. Gen Z tends to be confident, ambitious and extremely online. Working, shopping, dating, socialising, relaxing and obtaining information are all internet-dominated. Gen Z will search online for instructions on how to do absolutely anything, with opinions and decisions shaped more by online info than face-to-face advice.
Video-sharing on social media is a major part of communication. TikTok exerts huge influence. Online discussion sites and friendships are major factors. Although avid consumers of electronic technology and international travel, Gen Z voices support for sustainable green options.
Spending is more likely on day-today experiences and enjoying ‘now’ than on sacrificing short-term benefit for longer term gain. When researching new products, services or activities, the internet is the trusted source of advice, and Gen Z is accustomed to filtering large amounts of online information when deciding what to spend money on. Influencers can play a significant part in shaping views, but their actual individual influence can vary depending upon what other sources are out there.
There are some key themes in terms of dentolegal risk management for those providing dental care.
As a cohort carefully curating their image online, Gen Z patients are, unsurprisingly, big on cosmetic treatments. Preventive care features from the appearance perspective rather than concern with oral health. The primary aim of treatment is an outcome that looks good. If perfectly white, aligned teeth are healthy too, then that is a bonus. But, essentially, social media plus points will shape choices about dental care. It can be a demanding area and group to deal with.

The value placed upon aesthetics and the continuous exposure to examples of the ‘perfect smile’ across social media can lead to very high expectations in terms of cosmetic results. Beauty is in the eye of the Gen Z beholder, and this is very critical. The need to carefully manage expectations from the outset, therefore, is absolutely essential. Social media is a powerful tool for voicing dissatisfaction, and Gen Z will be quick to use this.
There is an immediacy of expectation. Gen Z has grown up in a fast-paced, next-day/same-day delivery environment. Being patient is not a well-developed characteristic. As well as perfection, results are expected yesterday – and the customer will expect their money back with no quibbles if they are not happy. Again, expectations around timeframes and what good looks like need to be, like orthodontic treatment, clearly aligned.
Environmentally conscious, Gen Z will more likely favour the use of eco-friendly, less traditional dental products. This may not be an issue if these are safe adjuncts to the approaches recommended by the clinician, but it may be necessary to review and advise accordingly if some sort of ‘wonder product’ has been embraced as a result of online information, which may not be quite as good as claimed.
The era of clinical paternalism has long since passed. The brave new world of online influencers and Dr Google has emerged, creating an environment in which ‘informed’ patients are less willing to accept what they do not want to hear, and will challenge professionals.
A.I. has the answer to everything, of
course, so the role of the clinician as the source of clinical expertise may not be so readily accepted by Gen Z, who will have their own views and preferences for treatment, which may not agree with clinician recommendations.
Discussions with opinionated patients can be challenging. There is a line between accommodating patient choices and acceding to patient demands. There can be pressure on a clinician to provide treatment against their better judgement. A danger is the “my body, my choice” argument that patients sometimes use when demanding a particular course of action. A clinician cannot proceed without consent from the patient but, remember, treatment also needs the agreement of the clinician. The wrong treatment is still the wrong treatment, no matter how much the patient may demand it.
A pertinent point to note is that Gen Z is more likely to identify as neurodivergent. They will expect those in healthcare settings to be alive to their specific needs and preferences. Neurodevelopmental differences should of course be picked up as part of any routine patient assessment, but it is worth bearing in mind the increasing prevalence of neurodiversity in a proactive, informed population. A lack of awareness of or sensitivity to this can create unfavourable impressions and give rise to complaints or even accusations of discrimination and unfair treatment.
In summary, there can never be a onesize-fits-all approach when dealing with every patient. Returning to the point made earlier, generalisations risk conflating group characteristics with individual attributes, so they must be viewed in that context.
Being aware of general patterns that may potentially impact upon the demands of the dental environment can help clinicians navigate challenges in delivering care and satisfying expectations around outcomes, whoever their patient may be.
About the author Martin Foster, Dentolegal Consultant at Dental Protection.




The recent Public Accounts Committee (PAC) report on NHS dentistry could not be clearer: “There is no future for NHS dentistry without reform.”
This sobering assessment confirms what many of us working within the system have long known – and what too many patients experience daily: access to NHS dental services has reached a nadir, and those most in need are being left behind.
From where I stand, this isn’t just a crisis of access or contracts. It is a systemic public health failure – and a stark demonstration of how oral health continues to be sidelined in national efforts to tackle health inequality.
The reality we face
We are now in a situation where:
• No local authority in England has more than one NHS dentist per 1,000 people
• Rural and deprived areas – those with the highest levels of need – have the poorest access
• Entire communities are relying on temporary, emergency, or private dental care, or going without care entirely And yet, we still treat oral health as peripheral – both in strategy and in funding. This disconnect has real human consequences. Tooth decay remains the number one reason for hospital admissions among children aged six to 10. In one of the wealthiest nations on earth, we are putting children under general anaesthetic for something that is almost entirely preventable. This is not just a dental issue –it is a health justice issue.
The PAC’s call for reform comes at a critical juncture. But we need to widen the lens beyond contracts and workforce pipelines. Oral health should be integrated into our core health equity and prevention agendas. Why? Because oral disease doesn’t sit in isolation:
• People with periodontal disease are at higher risk of cardiovascular disease
• Poor oral health worsens diabetes management
• Oral infections are linked with adverse pregnancy outcomes
• For older adults, poor oral health accelerates frailty and nutrition decline
• And yet oral health is missing from the very initiatives designed to tackle these conditions.
Failing to prevent oral disease is expensive. Not just for the NHS, but for the wider economy and society.
• Supervised toothbrushing programmes for early years return over £3 for every £1 invested
• Fluoride varnish for high-risk children is inexpensive, evidence-based, and scalable
• Outreach-led models, such as those tested in Hull, Manchester, and London, have reduced hospital admissions and improved school attendance
But these interventions remain fragmented and underfunded.
The PAC report is right to call out the lack of data, accountability, and long-
term planning. But the solution is not just reforming the 2006 contract – it’s embedding oral health into the DNA of integrated care.
Three immediate opportunities for the system
To respond meaningfully to the PAC’s call, we need action on three fronts:
1. Name oral health in every Core20PLUS5 and ICS strategy. What we don’t name, we don’t measure. And what we don’t measure, we can’t improve.
2. Invest in prevention where it works. We know what delivers impact. Integrated Care Systems (ICS) need to fund community led and school-based programmes, not just treatment capacity.
3. Build system partnerships that include dental care and dental providers. Oral health intersects with schools, housing, early years, social care, and digital health. It’s time we treated it as the cross-cutting equity issue it is.
As the number of ICSs is expected to consolidate, this presents a critical opportunity for the dental profession to engage more directly at place and system level – helping to shape prevention-focused, locally tailored strategies that embed oral health in wider health equity planning. Actionable steps a local dental practice can take to engage with the evolving ICS landscape and help push the oral health equity agenda include:
• Connecting with your ICS and PlaceBased Partnerships – not just the dental commissioners
• Attending local ICS engagement forums or Integrated Neighbourhood/ Place Board meetings – these are often open to providers and community stakeholders
• Introducing your practice as a community asset with potential to support prevention, education, and access initiatives
• Sharing anonymised practice-level data on patient demographics, missed appointments, urgent care trends, and preventable conditions to illustrate local need and inequalities
• Collaborating with Primary Care Networks (PCNs) and GP practices on shared patient care – especially for patients with diabetes, cardiovascular disease, or frailty
• Championing low-cost, high-impact interventions – such as fluoride varnish, sugar awareness, and toothbrushing schemes – as part of your practice’s community offer
• Offering to pilot or host preventionfocused initiatives in collaboration with public health teams or ICS commissioners
• Joining and contributing to your Local Dental Committee (LDC) or Managed Clinical Network (MCN) to collectively influence ICS strategy
• Encouraging ICS leaders to include oral health in Core20PLUS5 local priorities –and to measure it

Putting the mouth back in the body
The PAC report is a wake-up call but the response must be more than just incremental reform. We need to ensure that, moving ahead into the new world era, sans NHS England, we ensure that we put the mouth back in the body – to integrate oral health fully into the Government’s national ambitions and planning, to focus our professional advocacy, availability and aptitude to deliver prevention in partnership with the ICS and enable health equity in our communities – because the mouth isn’t optional. And health equity isn’t real until it includes oral health.


About the author Sara Hurley is the former Chief Dental Officer for England. She currently chairs the University of Suffolk Dental Community Interest Company and is Programme Director for the Global Oral Health Leadership Programme at the International College of Dentists.



































When electric toothbrushes first entered the consumer market in the 1960s, they were hailed as technical marvels. Over the decades, however, they have evolved into everyday essentials for many patients – especially with strong clinical evidence supporting their superior plaque removal and improved oral hygiene outcomes compared to manual brushes. For us as dental professionals, recommending electric toothbrushes has become second nature.
But, as the climate crisis deepens and consumer attitudes shift towards sustainability, we should take a more holistic view of our recommendations. Are electric toothbrushes still the right call when environmental impact is part of the conversation?
This article doesn’t aim to vilify innovation –far from it. Rather, we want to open a space for dialogue and reflection about how our profession can balance efficacy with ethics and clinical outcomes with planetary health.
A short history of a big idea
The first electric toothbrush, the Broxodent, was developed in Switzerland for patients with limited motor skills. Since then, its evolution has been nothing short of extraordinary. Modern iterations boast pressure sensors, timers, oscillating-rotating or sonic technology, Bluetooth connectivity… and marketing budgets to match.
Sales in the UK continue to rise, with electric toothbrush penetration exceeding 60% in some demographics. Their clinical benefits are well documented, particularly among those with limited dexterity or periodontal concerns. For professionals, they offer a straightforward intervention that can dramatically improve outcomes.
But for all the praise, we’ve seldom questioned the cost beyond the patient’s wallet.
Brushing up on the environmental toll
Electric toothbrushes have a far larger environmental footprint than their manual counterparts. Combining electronic components, lithium-ion batteries, plastic housings, and charging docks introduces significant manufacturing and disposal challenges. A 2020 lifecycle analysis from the British Dental Journal found that electric toothbrushes generate five times more carbon emissions than plastic manual brushes across their lifespan and 11 times more than bamboo brushes.
Further complicating the matter is end-of-life disposal. Many electric toothbrushes are not easily recyclable due to the mixture of materials, especially when batteries are sealed inside the handle. While some brands offer take-back schemes or mail-in recycling programmes, awareness and uptake remain low.
When added to the mountains of single-use plastics and the ever-growing pile of e-waste, this narrative deserves our attention – not to discourage use outright but to reconsider our role in shaping sustainable behaviours.
Between efficacy and ethics
So where does this leave dental professionals?
We know electric toothbrushes help reduce plaque and gingivitis – and in clinical practice, that matters. But perhaps it’s time to move beyond a binary recommendation model. Sustainability
doesn’t have to mean compromise. It means nuance. It means transparency. Could we better educate patients about responsible disposal? Could we encourage product longevity through head replacements instead of full unit swaps? Could we reward brands that build repairable, modular, or recyclable devices and challenge others to meet that standard?
There is also a growing market for hybrid brushes – powered models without internal batteries or those made with more sustainable materials. They’re not always perfect, but they show there is demand for better.
We have the platform to advocate for change, not only in behaviours but in industry standards. Engaging manufacturers and policymakers can help drive sustainable innovation without sacrificing patient care.
signs of progress: industry steps up Encouragingly, just like in many other sectors, electric toothbrush manufacturers are beginning to respond to growing environmental concerns. Driven by consumer demand and increasing regulatory scrutiny, several leading oral care brands are investing in more sustainable design, materials, and manufacturing processes.
Some companies have introduced recycling partnerships with specialist waste firms, while others are developing brushes with replaceable or recyclable components to extend product life and reduce landfill waste. There’s also a movement towards using recycled plastics in packaging and brush handles, and reducing the carbon intensity of production lines through renewable energy.
These may be early steps, but they are significant. The ambition and will are clearly there. What’s more, major players in the oral care industry are starting to embed sustainability into their core business ethics –not simply as a marketing afterthought, but as a long-term innovation goal.
Is the market changing quickly? Perhaps not. But it’s changing – and that matters.
Like many industries grappling with sustainability, the transition won’t happen overnight. But momentum is building, and manufacturers are committing more research and resources towards greener products and more circular systems.
Leading a profession that leads by example
Patients increasingly care about sustainability and expect the same from the professionals they trust. If we dismiss those concerns as peripheral, we risk eroding that trust.
Environmental responsibility doesn’t require abandoning clinically effective tools. It asks us to contextualise them, to explain their pros and cons, and to offer alternatives where appropriate.
As dental professionals, we’ve always balanced science with judgement. We look at the whole patient. Maybe it’s time we started looking at the entire picture, too – including the environmental costs of our most trusted tools.
Because brushing shouldn’t cost the earth, and with the right information, it doesn’t have to. n
About the author Karen Coates, oral Health Content specialist at the oral Health Foundation, and RDn

With the recent controversy over a Saturday Night Live sketch, polly Bhambra explains how the dental profession can step in
In April 2025, actress Aimee Lou Wood – best known for her roles in Sex Education and The White Lotus – found herself at the centre of an unexpected controversy.
A sketch on Saturday Night Live ( SNL ) parodied her White Lotus character, Chelsea, with exaggerated prosthetic teeth and a caricatured British accent.
The portrayal, which implied poor dental hygiene and intellect, was met with criticism from Wood and her supporters. Aimee described the sketch as ‘mean and unfunny,’ highlighting the emotional impact such portrayals can have.
This incident has sparked a broader conversation about societal beauty standards and the importance of promoting healthy, natural smiles over homogenised ideals.
The incident involving Aimee Lou Wood serves as a reminder of the societal pressures surrounding dental appearance
the pitfalls of aesthetic perfection
In an era where cosmetic dentistry offers solutions like veneers and whitening treatments, there’s a growing pressure to conform to a specific aesthetic. While these advancements can boost confidence, they also risk creating unrealistic standards.
Wood’s natural teeth, which deviate from the Hollywood norm, became a focal point of ridicule, overshadowing her talent and performance. As she noted, the conversation shifted from her work to her appearance. A trend that can be both disheartening and distracting.
Reframing the narrative: health over aesthetics
Dental professionals have a unique opportunity to shift the focus from purely aesthetic considerations to overall oral health. Emphasising the importance of healthy gums, strong teeth, and proper oral hygiene can help patients appreciate their natural smiles.
By celebrating diversity in dental appearance and educating patients about the value of oral health, we can foster a more inclusive and positive perception of dental care.
Addressing smile shaming
The ridicule faced by Aimee Lou Wood is not an isolated incident.
Many individuals experience ‘smile shaming,’ where their natural dental features become subjects of mockery. This can lead to decreased self-esteem and reluctance to seek dental care.

As dental professionals, it’s crucial to create a supportive environment that respects individual differences and encourages patients to embrace their unique smiles.
the role of dental professionals in promoting positive change
In light of this controversy, dental practitioners can take proactive steps to promote a healthier, more inclusive perspective on dental aesthetics:
• Patient education: inform patients about the importance of oral health over cosmetic perfection
• Media engagement: use platforms to challenge harmful stereotypes and advocate for diverse representations of beauty
• Supportive communication: encourage open discussions with patients about their concerns, focusing on health and well-being
• Professional development: stay informed about the psychological impacts of dental aesthetics and incorporate this understanding into patient care.
The incident involving Aimee Lou Wood serves as a reminder of the societal pressures surrounding dental appearance.
As dental professionals, we have the responsibility to guide the conversation towards valuing oral health and embracing natural diversity. By doing so, we not only support our patients’ physical wellbeing but also contribute to their confidence and self-acceptance. Let us seize this moment to reaffirm our commitment to promoting healthy smiles and challenging the narrow definitions of beauty that pervade our culture. n
For more useful tips in dentistry, follow me on instagram @pollybhambra
About the author polly Bhambra, practice principal at treetops Dental surgery.

David Drew explains how The Dental Barns, as well as the equipment they use and the way in which patients are treated, all reflects the philosophy he shares with his wife and principal dentist Keely Thorne
David Drew, practice manager, and his wife Keely Thorne, principal dentist, have established a new ‘dental experience’ practice in the beautiful countryside near Lichfield in Staffordshire. We recently caught up with David to discuss the environment they have created, as well as their decision to equip The Dental Barns with solutions from NSK.
What experience are you providing patients with at the Dental Barns and why does this make your practice different from others?
We believe that everyone deserves to feel good about their smile.
For us, this means removing all of the fears that patients may have between where they are now, and feeling good about their smile - whether that is getting their oral health under control or improving their smile aesthetically.
To achieve this, we are guided by our core values: Excellence, Wellness, and Bespoke - each always underlined with transparency.
We believe we stand out as a practice. We’ve looked at all aspects of the patient journey, and really challenged ourselves in terms of how we can alleviate stresses, elevate transparency, and improve the overall wellbeing of our patients.
how does the setting and environment you’ve chosen for the practice align with this philosophy?
Anxiety is a big barrier between patients and a confident smile. In order for us to overcome this, we have stepped away from the traditional dental setting that can often trigger thoughts of negative past experiences: sounds, sights, and smells.


Our surroundings couldn’t be further away from the traditional dental practice. Set in a rural rustic barn, there’s ample free parking, no hustle and bustle of the high street, and beautiful scenery to soak in.
This aligns perfectly with our philosophy, as it instils relaxation, rather than anxiety.
how do your aims in this area determine the suppliers you chose to work with?
Things need to run smoothly, be as comfortable as possible for the patient, and to achieve this we need to use equipment of the highest quality. All of this helps provide a seamless, predictable, stress-free journey for patients.
Our suppliers, naturally, need to be reliable, offer great support, and build exceptional quality consumables and tools.
You have invested in plenty of equipment from NsK. what has your experience been in terms of the hardware and personal support received from NsK?
We opted to unify our main handpiece and decontamination (autoclave, and oiling machine) supplier to NSK. Our decision was based on service, and the quality of each product in the range. We’ve been very impressed with NSK, to date we have had no handpiece failures, and not a single autoclave failure in over 700 cycles.
Dr Keely thorne is the practice principal, which NsK handpiece is Keely’s favourite?
Keely loves the NSK Ti-Max Z95L 1:5 Speed Increasing Contra-Angle Handpiece: The handpiece feels very high quality in the hand and is a nice weight - which gives no hand fatigue during long treatments. It’s also quiet, which is really important for our patient group in particular.
NsK ti-Max Z95l


the practice performs a lot of cosmetic dentistry – how does NsK equipment help you achieve the outcomes you and your patients desire?
The handpieces we use are really put through their paces. In long composite bonding cases, for example - where we would sometimes book out the entire day - there can be lots of polishing and adjustments and the handpieces stand up really well.
A lot of precise control is needed with these cases which the handpieces also provide.
infection control is a vital aspect of dentistry – how does NsK’s iClave plus and the iCare that you have help with quality control and efficiency and are there any other reasons why you chose this equipment?
We are quite space restricted in our decon room, and so space and workflow were a top priority when considering our equipment choices. The iClave Plus is surprisingly roomy for its footprint, and has a good range of flexible cycles. Being able to turn over equipment quickly has been a bonus. Features such as being able to auto-drain have also helped with the workflow in decon.
The iCare handpiece oiling unit was a must have for us - manual oiling of handpieces introduces too many variables and has the potential to be very messy. The iCare is extremely simple (almost enjoyable to use!), and has helped

ensure our handpieces have the best care throughout their usage cycle.
NSK provided a one-stop solution when it came to handpieces and decontamination, and each product being of the highest quality made it quite a straightforward purchasing decision.
Do you have an NsK service plan for your handpieces/ autoclaves?
We have an annual service and calibration of the iClave Plus – (just coming out of our first year). We haven’t had to consider service plans just yet, but with our philosophy in mind, it will be something we look closely at - as we want to avoid any service drop out, and importantly, avoid any interruption to our patients’ journey.
www.thedentalbarns.co.uk n











There is no escaping the digital age of dentistry, and very little reason to want to. By turning conventional, handson workflows into electronically driven approaches, clinicians can find new advantages in saving time and improving control over the practice.
The UK has a unique structure for dental care provision, with private and NHS dentistry often intersecting under the same roof. When choosing a practice management system, it’s important to recognise what a clinician will need from it considering these two aspects. Then one can begin to identify the solutions that improve the team’s workflows, no matter the type of dentistry provided.
NHS and UDA monitoring
Working in NHS dentistry can be hectic.
Appointment demand is still high – a 2024 report found just 3% of patients who tried to get an NHS dental appointment in the previous 2 years had been successful –and so a practice management software needs to simplify organisation.
It is important for NHS clinicians to be able to effectively track their units of dental activity (UDA) contributions, and ensure they are set to meet their committed contract activity. Individual clinicians will find it helpful to track their own progress as the weeks and months pass, ensuring they are on course to meet or exceed their targets too.
The standard general dental services contract laid out by NHS England notes that if a practice provides services under
the contract from 1st April in the relevant financial year, they may need a mid-year review to assess the quantity of UDAs provided up until that point. This is necessary if the designated “Commissioner” observes less than 30% of the UDA target has been met between 1st April and 30th September.
A centralised practice management software can ensure that these numbers are recorded accurately, and accessed at a moment’s notice. This would give clinicians the ability to identify and correct problems long before a Commissioner intervenes.
Keeping abreast of the financial aspects of your dental practice is especially vital at all times. Monitoring your income and outgoings is imperative when considering changes to the way your practice is run, whether you can expand according to demand, or even realise new opportunities that can be taken.
Financial viability is a common stressor for dental professionals, and exercising control is a way to tackle it effectively. A practice management system could be optimised to display key metrics in one spot, another advantage over more conventional workflows that require speaking to accountants and diving into the practice’s books to gain a full picture. This is, of course, an advantage for NHS practices, but also for those that rely heavily on the income generated from private treatment or membership subscriptions. Being able to access key financial insights in an instant is always extremely useful.

For clinicians managing multiple practices, it can be particularly beneficial to implement a cloudbased solution. This means essential financial information can be accessed at multiple locations, without needing to be directly linked to a specific practice’s internal system, and insights throughout a group of dental providers can be collated to make effective changes that are fully informed.
Streamlining how practices track UDAs or preside over their current financial situation is not only beneficial because it can prompt immediate changes to the practice. A digitised and centralised software may also help save clinicians and their teams an abundance of time. Increasing efficiency was ranked the leading reason for using digital technologies in a dental practice in a 2019 report, exemplifying the desire from professionals to achieve more in the day. The right software will also optimise experiences for patients, as it can offer the ability for appointment scheduling to be completed through a practice website. This is preferred by both patients and practitioners who are more digitally inclined, whilst also removing the need for cumbersome administrative procedures to be carried out by staff. The time saved can be better focused on different aspects of the patient experience, and the literature notes that it is a primary motivator behind dentists adopting digital solutions throughout their practice.
Choosing the right practice management software to meet your needs is essential for a smooth transition and long-lasting impacts. Sensei Cloud from Sensei, the practice and patient management brand of Carestream Dental, offers a range of key insights including practice performance and finances in realtime dashboards, with only the relevant information shown – extraneous and complex data doesn’t have to take up your time and energy. Sensei Cloud also streamlines patient management, allowing professionals to track and claim UDAs in a timely fashion from across multiple practice sites.
Going digital with a practice management software can be a big jump for a practice, but ultimately may be necessary with the changing times. To take full advantage of the ability to monitor your practice’s activity from a screen, it’s important to find the right solution for you.
For more information on Sensei Cloud visit https://gosensei.co.uk/
For the latest news and updates, follow us on Facebook and Instagram @carestreamdental.uk
About the author
Claire McCarthy, Senior Director of Program & Process Excellence, Sensei.

Patient education is a key role of dental practitioners, and is the cornerstone of preventive dentistry. It enables patients to make informed decisions about their oral health, giving them the essential information they need about the way their biology, behaviour, and dental appointment attendance can all have an impact on their oral health. Patients may not be aware that certain foods are harmful for their teeth, or that habits like nail biting might lead to tooth wear. Only once patients have this information can they take action and improve their longterm oral health.
Additionally, some patients may not be aware of the importance of oral hygiene, thinking that skipping brushing every now and then, and not flossing, is harmless. Once a dental professional explains the benefits of excellent oral hygiene in an accessible way, patients are more likely to take an active role in their oral health.
There are many helpful resources available to assist professionals with patient education, particularly during National Smile Month – an annual event which champions the benefits of good oral health and promotes the value of a healthy smile. The campaign aims to reach groups which struggle to maintain their oral health, and who may find themselves requiring emergency care for dental pain. Of course, preventing these problems is the primary concern of any practitioner. However, this is not always realistic, with some patients struggling to access dental care or maintain oral hygiene, or who are at a high risk for dental problems. As such, it’s important that clinicians can support patients experiencing dental pain whilst they wait for treatment.
First and foremost, it is essential that clinicians routinely offer patients tailored advice when it comes to caring for their mouths. This should include how and when to clean their teeth using a fluoride toothpaste, how to most effectively clean interdentally/around restorations or appliances, reducing the amount of sugary/acidic food and drink patients consume, and encouraging patients to attend the practice regularly for check-ups.
When followed as recommended, this advice can have a significant impact on patients’ oral health, helping to prevent oral disease and reduce the need for associated treatments.
Whilst in-person education is important for tailored care, having information accessible on the practice website can be particularly helpful for patients who are seeking reliable advice. This includes patients who are experiencing dental pain, and require emergency treatment, who are seeking pain management advice prior to their appointment.
This may mean adding an advice blog to your practice website, or sending out informative emails or social media posts to reach patients in a quick and accessible way. These digestible resources are great ways for your patients to continue their dental education after they leave the practice, and offers them information they can trust to help them make the right decisions for their health.
Toothache can have many causes, ranging from caries and gingivitis, to fractures and endodontic infections. When pain strikes, patients are likely to seek emergency care to solve the problem as soon as possible. Pain
management can be a big concern for patients when they are experiencing toothache, with a 2023 survey revealing that 28% of Brits had to take time off work due to dental pain. However, emergency treatment may not be available immediately. As such, supporting patients in managing pain prior to emergency dental care is essential.
Recommend that patients use Orajel Dental Gel for rapid pain relief. The solution contains 10% benzocaine, enabling individuals to apply local anaesthetic directly to the affected area. Or, for more severe pain, recommend Orajel Extra Strength (20% benzocaine), or Orajel Mouth Gel (10% benzocaine) for patients with mouth ulcers or denture pain.
The first step in preventing dental problems is patient education. However, some patients may experience toothache regardless of the role they play in maintaining their oral health. As such, it is important to provide patients with the information they need, when it’s needed, rather than patients waiting for their next appointment to address key concerns. Supporting patients at home, whilst they wait for emergency care, is key for reducing dental pain and improving the patient’s experience.
For more information, and to see the full range of Orajel products, please visit https://www.orajel.co.uk/















As dental professionals we are constantly seeing different types of people in the practice.
It is our job to engage with everyone we provide care for and to tailor our approach according to their needs. This must be considered with regards to everything from how a patient is greeted in the practice to the clinical treatment we recommend, how we communicate with them and how we make them feel comfortable in the surgery environment. With World Autism Day coming up in April, this is a useful time to reflect on how we provide care for our neurodivergent patients.
The definition of Autism has changed over time as our understanding of the condition has developed. Even today, the term is used to describe people with a vast range of traits or challenges – often referred to as the Autistic spectrum. With this in mind, it’s very difficult to estimate prevalence of the condition in the UK, although around one in 100 people are believed to be affected.
This also means that every individual has different support needs. Among those who present with learning disabilities, some will live fairly independently while others may require significant assistance to complete daily tasks. Some people may be completely non-verbal, while others may have exceptional skills in one area and struggle in another.

A person does not have to disclose an autism diagnosis to their dental team. However, it’s important that professionals understand how they might need to tailor their care should a patient share this information. Depending on their specific situation, an autistic individual may not fully understand the need for dental check-ups or the recommendations given during an appointment. They may also experience sensory issues while in the dental chair or moving through the practice.
The most effective way to prepare for a patient with autism is to communicate with them or their carer prior to a visit. Asking if there is anything you can
If small insects or rodents make your skin crawl, this may not be the article for you – but it could help your dental practice avoid catastrophe.
In dental care, procedural single use plastics alone make up an approximate 13.3 tonnes of waste per year; in hospitals, the NHS clinical waste strategy estimates that every bed creates 4.5kg of waste per day, with total annual waste to reach 200,000 tonnes in 2029/30. These large volumes of waste need to be managed safely to protect clinicians, patients, and the wider environment – but also because of the risks they present for pest infestation. Keeping vermin away from dental practices is paramount to patient and clinician safety, and is possible with knowledge of appropriate waste management routines, and pest control measures.
infestation prevalence
It’s important to realise just how significant this problem is. NHS hospitals saw 6,666 pest infestation incidences in 2023/24 alone (averaging 18 per day), and a total of 18,877 over the period 2021-2024. The management of such problems is time consuming, and a financial burden – £3.7 million was spent over the 2021-24 period to call out pest control and deal with infestations. These findings are only compounded by the fact that this does not include complete data from every NHS Foundation Trust. The scale of the problem, for all we know, is larger than we can imagine. Pests in urban environments are positively
affected by the presence of human food waste, the feeding of birds and animals, and a low volume of larger predators. Waste types that are found at the dental practice and other healthcare services may serve as food sources, breeding grounds or dwellings.
NHS England recognises that pest control and management is essential for safe and hygienic care. Vermin can create health risks, damage the environment and food products, and undermine the reputation and public confidence in a healthcare provider. It is the responsibility of the dental practice to minimise the presence of pests in the area, and this is possible with appropriate actions in line with current guidance and regulations.
There are many actions that the dental practice must take to minimise the threat of pest infestation. This includes the use of pest contractors, and proper waste management around the practice site.
Licensed specialist contractors for pest control are recommended by NHS England, and must be prepared to work safely and legally when addressing pest concerns. This support should cover internal and external areas, but prioritise clinical areas first and foremost – this includes dental surgeries, decontamination rooms and laboratories.
A contractor could act on a proactive or reactive basis, or a mix of the two. A proactive service would include routine visits to monitor, bait and inspect pest risks, which
do to make the appointment easier for them provides an opportunity for them to share their needs. This might mean turning down lights, offering a separate/quiet space to wait, or designing the patient journey to allow them to enter the surgery immediately when they arrive at the practice. The time of day, length of appointment, number of professionals in the room can also all have an influence over the patient’s experience.
Another consideration is communicating oral health needs. Using visual aids may improve understanding, as will utilising the correct verbal and body language. Some individuals can often perform small, repetitive behaviours (otherwise
known as stimming) as a way of regulating any anxiety or distress. These should also be allowed for within the dental setting wherever possible and safe.
All of this is essential in order to help those with autism access the dental care they need. The literature has shown that among intellectually able adults with autism spectrum disorder, the risk of gingival recession and reduced salivary flow was higher than in people without the condition. This was partly attributed to less frequent tooth brushing and lower saliva production. More research is required to better understand the connections and therefore improve oral health support for individuals affected. As such, it is for all members of the dental team to help autistic patients maintain their oral hygiene. From making a practice visit more comfortable to offering advice in the right way, even small things will make a big difference. n
about the author endocare, led by Dr Michael Sultan, is one of the UK’s most trusted Specialist endodontist practices.

helps practices be aware of the developing threats in the local environment and on site, whereas a reactive service will include callouts when evidence of a pest is identified. Such evidence could include the sighting of a pest, animal droppings, or animal-made damage to property or equipment. The dental team must act in line with health and safety legislation, such as the Health and Safety at Work Act 1974 and Control of Substances Hazardous to Health Regulations 2002 (COSHH). This includes the use of pesticides only where appropriate.
Health Technical Memorandum 07-01 (HTM 07-01) is essential guidance for clinical waste management, but it also acknowledges the need to prevent pest infestations. It notes that infectious wastes that are not pharmaceutical, chemical, anatomical or palletised wastes – think infected PPE, single-use sharps, infectious dressings and swabs – must be stored in a secure building. This should be indoors (though outdoors is acceptable if extra needs are met), and an appropriate site-specific risk assessment should be carried out to determine the chance of attracting and hosting pests. Simple steps around the practice can also reduce the risks presented by pests. Bagged waste, in line with HTM 07-01, should be stored in fully enclosed, lockable, rigid, leak-proof and weatherproof containers. This stops pests piercing bags which may be easily penetrable.

Initial Medical, UK dentistry’s ultimate source of support for healthcare waste management, provides clinicians with lockable yellow wheelie bins, which range in size from 240L – 1100L, keeping hazardous and non-hazardous waste safe. Consider also installing an Initial Medical Wheelie Bin Sanitiser Station at each point of use, which reduces the risk of contamination within the practice, but can also be a good reminder to secure and lock the clinical waste bin, preventing access for pests.
Pest control is an essential aspect of practice management, and requires clinical teams to keep on top of their waste workflows. By understanding and implementing the guidelines and regulations that affect healthcare services, run-ins with pests can be of minimal concern.
To find out more, get in touch at 0808 304 7411 or visit the website today: www.initial.co.uk/medical n
about the author rebecca Waters, Head of Marketing at rentokil initial.

Autoclaves are essential for dental practices, ensuring patient safety by delivering reliable sterilisation of instruments. However, they need to withstand the significant demands of a busy dental practice to continue operating efficiently for several years. To protect their investment in this equipment and extend product lifespan, dental teams should follow key maintenance and care protocols.
Effective upkeep starts with daily and weekly measures performed in-house by the dental team. Adhering to the manufacturer’s guidelines for routine testing helps ensure the autoclave consistently operates under optimal conditions, maintaining effective sterilisation and preventing technical issues. Keeping the autoclave clean is equally important. Regularly inspecting and maintaining door seals, chamber faces, chambers and filters will ensure each aspect remains functional. This also allows for early detection and removal of excessive oil, dust and debris before they can damage the equipment. Leading suppliers in the field will offer Enhanced CPD as part of their equipment training for the team, which will cover all this and more.
To further protect the autoclave, practices can use a washer disinfector instead of manually washing reusable instruments before sterilisation. This reduces contamination from debris and organic matter, lowering the risk of build-up within the machine. Additionally,












using high-quality water minimises the development of limescale, which can impair autoclave performance over time. This would be an issue if using tap water, for example, because this contains an array of minerals and deposits that cause limescale in any connected apparatus. Instead, practices will need to implement either bottled/distilled water, or a reverse osmosis (RO) water system – with the latter often being the more sustainable and cost-effective solution.
How the autoclave is operated every day also impacts longevity. Proper lubrication of handpieces – once again following manufacturer recommendations – prevents excess oil from accumulating inside the autoclave, which could lead to mechanical issues. In addition, avoiding overloading ensures proper steam penetration and prevents undue strain on the unit.
Beyond everyday maintenance, expert support is essential to ensure the long-term reliability of your autoclave. Annual validation & service, completed by a qualified engineer, which requires compliance with the Pressure Systems Safety Regulations (PSSR) 2000 is a legal requirement. This validation process checks steam penetration, temperature, pressure and cycle parameters to confirm effective sterilisation conditions have been met. It also confirms that the pressure valves in the machine remain safe and functional.







































Working with a trusted service provider for regular decontamination equipment maintenance helps prevent unexpected breakdowns. Specifically-trained engineers assess the equipment for mechanical and electrical components, making any necessary repairs or replacements before issues are able to escalate. Routine servicing minimises downtime for the practice and ensures the autoclave functions efficiently for years to come.
By following these in-practice and professional maintenance steps, dental teams can get the very most out of their autoclave, ensuring safe and effective instrument sterilisation while extending the lifespan of this vital equipment.
Demonstrating that all the above really does maximise autoclave longevity, one practice in Kent actually had their machine in place for 16 years! Tracey Cage, Practice Manager at Kelvin House Dental Practice, said: “It is essential to have reliable infection control equipment in the practice, because we simply can’t work without it.
“If anything, ever went wrong, someone was out quickly to fix the issue. We also saw the same engineer for many years, which helped with continuity of service, and they always told us exactly what was happening and what we needed to do. Of course, our team played their part in looking after the equipment properly with distilled water and daily/weekly testing for the old machine to ensure it continued to run effectively.”





















Kelvin House had a Little Sister autoclave, but who did they work with to maintain it for so long? Eschmann.
“We would absolutely recommend Eschmann equipment and the Care & Cover maintenance programme” Tracey continues.
“The entire team have done a fantastic job and we have no complaints at all. The fact that one model lasted 16 years and we have another that is already 12 years old speaks volumes for the quality of the product and service. We will miss our old unit but we look forward to using the new Little Sister SES 3000B for the next decade!”
Looking after your autoclave, both internally and with external expert support, means you too can enjoy maximum product longevity. Review your processes and find out more today.
For more information on the leading veterinary autoclaves supplied by Eschmann, or the comprehensive equipment servicing, validation and support options available, please visit eschmann.co.uk or call 01903 753322
About the author Nicky Varney, Head of Marketing at Eschmann.































...in alignment with the United Nations Sustainable Development Goals
The United Nations Sustainable Development Goals (SDGs) provide a comprehensive framework for addressing global challenges such as poverty, inequality, climate change, and environmental degradation. A set of interconnected goals to be achieved by 2030 emphasise the careful conservation of resources, responsible consumption, and the safeguarding of biodiversity and ecosystems.
In dentistry, maintaining a safe practice while aligning with the SDGs requires a holistic approach that addresses multiple areas, including greener procurement, more efficient use of energy and materials, waste reduction, and preventing the release of pollutants into the environment. Additionally, improving access to preventative care is an essential component of meeting these goals. However, dental professionals often find themselves caught between the desire to adopt more sustainable practices and the need to ensure patient safety. Many dental practitioners acknowledge the importance of green dentistry principles but are unsure how to implement them or are concerned that making changes may compromise treatment safety or effectiveness.
What is sustainability, and what is at stake?
Sustainability, in its simplest form, can be defined as the ability to meet the needs of the present without compromising the ability of future generations to meet their needs. It’s based on the idea that with care and foresight, the activity of people can continue in perpetuity, in balance with nature.
The climate crisis and the loss of biodiversity are urgent global challenges that cannot be ignored. For example, one area of concern is the growing threat to fresh water supplies. Despite water covering 70% of the Earth’s surface, only 3% is fresh water, and two-thirds of this is unavailable for use, either locked in glaciers or otherwise inaccessible. Pollution, over-extraction, and agricultural practices have stressed many of the world’s fresh water systems, compounded by the impacts of climate change. By 2050, it is projected that three out of four people will face severe water scarcity. The global cost of drought already exceeds $307 billion annually, highlighting the urgency of sustainable water management.
In dentistry, infection control plays a central role in maintaining a safe environment for both patients and healthcare professionals. Adhering to standards like the Health Technical Memorandum (HTM) 01-05 is critical for ensuring that dental instruments are properly decontaminated and sterilized. However, these rigorous infection control protocols often create a challenge when attempting to integrate sustainable protocols into dental clinics. Dental practices rely on a wide range of instruments and equipment that must undergo specific decontamination procedures, typically requiring energy-intensive processes like

autoclaving at precise temperatures. This can make it seem difficult to balance the need for safe, effective infection control with the drive for sustainability.
The use of washer disinfectors and vacuum autoclaves is recognised as ‘Best Practice’ when decontaminating instruments, as outlined in HTM 01-05. Although their use has an environmental impact due to the energy consumption and water usage, washer disinfectors use less water than handwashing per cycle and sterilisation as we all know is a must, so always choose an eco-friendly option.
To reduce the environmental impact, strategies include using renewable energy, maximising chamber capacity to reduce cycles, running cycles back-to-back to recycle heat, and adjusting detergent usage based on the level of soiling.
Help to achieve shared goals
Careful selection of your equipment is imperative to ensure that it has lower energy and water usage thereby reducing the impact on the environment. To mitigate impact, using energy-efficient autoclaves can help minimise unnecessary cycles and energy consumption.
W&H has developed a range of decontamination products with the technology not only to suit every load requirement but also to assist you in reducing your practice’s ecological footprint. The new Lara XXL, for example, is a B type sterilizer which benefits from a 38L capacity. Its EcoDry technology enhances energy efficiency during the sterilization process. The Lara range of autoclaves are designed to be updatable, upgradable, maintainable, and repairable. Frequent digital upgrades reduce the cost as well as the environmental impact of replacements as technology advances.
Moving towards a more sustainable practice benefits everyone. In dentistry, by definition, it prioritises strategies to maintain clinical excellence in practice without damaging the viability of future activity. As the world works towards achieving SDGs, the dental community plays a vital role.
To find out more about the full range from W&H, visit www.wh.com/en_uk, call 01727 874990 or email office.uk@wh.com n
about the author
Jon Bryant, National Sales & Marketing Manager
for the UK & ireland at W&H UK.
Much of our time is spent in the workplace, with data from the Office for National Statistics suggesting that employed men in the UK spend 20.9% of their time working, with women spending 17.9% of their time working. As such, it is important to understand the influence that the working environment can have on the team. Sometimes, even changes that may feel subtle can have a big impact on dental care professionals’ experience of work –in time, having the potential to improve retention and solidify the dental workforce.
With a considerable amount of time spent at work, it’s no surprise that the working environment can have an impact on performance. Research suggests that those who are satisfied with their work environment are likely to display increased productivity.

In some cases, the design of the workplace can have a significant impact on team productivity, and retention in the longterm. By making practice design a priority, benefiting your patients, team, and yourself, you’re able to indirectly make the work environment a more enjoyable, comfortable, and motivating space.
Colour is one way of achieving this. By thinking outside of the box about the impact that colour may have on yourself and your colleagues, you’re able to utilise what would have otherwise been purely functional items and spaces and make them a crucial element of the overall feel of your practice. With this in mind, it’s helpful to consider the effects that different colours have on our emotions and the way we work.
Generally considered to be cheerful and uplifting, it can be useful to incorporate this into the design of a space to encourage optimism and energy. Too much can be overbearing, but accents used sparingly can promote a happy atmosphere.
Traditionally used in wellness and healthcare spaces, blue is synonymous with calmness and peace. This can be an excellent choice in many dental practices, helping to contribute to reduced anxiety for clinicians and patients alike.

Red is ideal for stimulating action and motivation, drawing in the eye and creating a sense of excitement and urgency. If quick
decision making or high energy is required, red accents can be helpful – but avoid too much as it can be stressful.
The colour of balance and harmony, often associated with nature, it can inspire feelings of confidence at work. Incorporating elements of nature in the workplace is generally considered to be beneficial for mental health and wellness.
The perfect mix of blue’s stability and red’s energy, purple is associated with wisdom and luxury. Often linked with creativity, purple encourages confidence and inspiration.
Energy, enthusiasm, and excitement are all associated with orange. It’s warm, vibrant, and perfect for boosting creativity and motivation. It can also be great for collaborative workspaces, encouraging social interactions.
Make colour and design a priority If you’re looking to renovate or open a new dental practice, consider the impact that colour choices might have on yourself and your team in the long term, as well as the potential benefits for business output and team productivity. Designing or re-designing a space is an excellent opportunity to explore new options and enjoy a bold, yet timeless practice. Clark Dental is perfectly placed to help you on your practice design journey. With over 50 years of experience working with dental professionals to realise their visions, Clark Dental offers a wide range of cabinetry options for all tastes. The Edarredo E.04 Monocolore range is designed for those who want to create a dynamic and unique environment, without compromising on workplace efficiency. Available in a wide variety of styles and colours, the range is modular to suit every practice’s unique needs. It’s vital that the dental team are considered when making changes in the practice, this even includes areas that may not feel significant. Colour and design used throughout the practice can have an impact on performance, so be sure to take this into account when selecting new cabinetry and equipment.

For more information call Clark Dental on 01268 733 146, email info@clarkdental.co.uk or visit www.clarkdental.co.uk n
about the author Stuart clark, Managing Director at clark Dental.

In the realm of dental care, precision, reliability, and longevity of equipment are paramount. At MK-dent, we understand the critical importance of maintaining dental handpieces to ensure their optimal performance and durability. Proper maintenance not only enhances the functionality of these essential tools but also significantly reduces repair costs, making it a smart investment for dental practices. In this editorial, we delve into the significance of regular maintenance, the benefits of using synthetic oil over mineral oil, and how MK-dent is supporting dentists with a free online maintenance session.

Dental handpieces are the workhorses of any dental practice. These high-precision instruments are subjected to rigorous use, making their upkeep crucial. Regular maintenance is essential to prevent wear and tear, avoid unexpected breakdowns, and extend the lifespan of the handpieces. By adhering to a consistent maintenance schedule, dental professionals can ensure that their equipment remains in top-notch condition, thereby providing the highest level of care to their patients.
One of the key aspects of maintaining dental handpieces is lubrication. The choice between synthetic oil and mineral oil can significantly impact the performance and longevity of the equipment. A study by the American Automobile Association (AAA) revealed that under conditions of pressure and heat, synthetic oil outperforms mineral oil by 46%. This finding is highly relevant for dental handpieces, which operate under similar conditions.
Synthetic oil’s molecular structure provides superior resistance to thermal degradation, ensuring consistent lubrication even under high-stress conditions. This means that the internal components of dental handpieces remain well-lubricated, reducing friction and wear. As a result, the handpieces operate more smoothly and efficiently, enhancing their overall performance.
By using synthetic oil, dental practices can significantly extend the lifespan of their handpieces. The superior lubrication properties of synthetic oil reduce the risk of component failure, thereby decreasing the frequency of repairs and replacements. This translates into cost savings and uninterrupted service for dental professionals.
The financial benefits of proper maintenance cannot be overstated. Dental practices that invest in regular maintenance of their handpieces can achieve substantial cost savings in the long run. Preventive maintenance helps identify and address potential issues before they escalate into major problems, thereby reducing the need for costly repairs.
Correct maintenance practices, including the use of synthetic oil, can cut down repair costs significantly. By keeping the handpieces in optimal condition, dental professionals can avoid the high expenses associated with extensive repairs or purchasing new equipment. This allows practices to allocate their resources more effectively and maintain a smooth workflow.
At MK-dent, we are dedicated to supporting dental professionals in their efforts to maintain their equipment. We understand that proper maintenance requires knowledge and expertise, which is why we are offering a free online maintenance session from, us as an experienced manufacturer, to dentists. This session will provide valuable insights into best practices for maintaining dental handpieces, helping

to further reduce repair costs and enhance the longevity of the equipment.
Proper maintenance of dental handpieces is crucial for ensuring their optimal performance and longevity. The choice of lubrication, particularly the use of synthetic oil, plays a significant role in enhancing the durability and efficiency of these essential tools. By investing in regular maintenance, dental practices can achieve substantial cost savings and provide the highest quality of care to their patients. We are committed to supporting dentists through our free online maintenance session, helping them maintain their equipment and reduce repair costs. Sign up today and take the first step towards extending the life of your dental handpieces.











It’s no secret that we are living longer – one in six people will be over 60 by 2030, a 400 million increase from 2020. But whilst we are gaining years, we are not gaining health. Disability, and chronic and long-term health conditions are likely to increase in prevalence as the population continues to age.
Ageing has an impact on the whole body, gradually impeding mobility, the senses and cognitive function while also increasing susceptibility to disease. Anticipating the growth in health problems, 2021-2030 has been declared the Decade of Healthy Ageing, with international cooperation being led by the World Health Organization (WHO) to improve the lives of older people. The ageing population will contribute to a rise in oral complications, such as tooth-wear and gingival recession, and an increased incidence of caries, periodontitis and edentulism. As well as encouraging a consistent and effective oral hygiene routine among older patients, dental practitioners should also be aware of how certain changes in diet can be of benefit to older patients.

Fish, flax and fats
According to research, a daily supplement of omega-3 or an omega-3-rich diet is a vital way of helping older people to stay healthy. The body uses fatty acids for energy, with ALA, DHA and EPA being the three types within the omega-3 fatty acids group. DHA is the most important, notably forming much of the brain and the retina of the eyes. Collectively, omega-3 fatty acids can boost brain function and heart health and protect against illnesses including cancer, depression and various inflammatory diseases, such as periodontitis. They are also vital components for cell function, providing structure to the membranes and supporting cellular interaction.
As omega-3 fatty acids cannot be created by the body, but provide numerous health benefits, a diet containing omega-3, or a daily supplement, is highly recommended. Foods that fall into this diet include:
• Fatty fish (salmon, sardines, mackerel, herring, bluefin tuna, oysters and mussels)
• Fish oils
• Chia seeds
• Flax seeds
• Flaxseed oil
• Walnuts
Along with their many health benefits, omega-3 fatty acids have been found to slow biological ageing. Changes in epigenetic markers – the chemical tags on DNA that alter the activity of genes – have been noted in studies on omega-3 consumption.
Observation of the DNA markers called
methyl groups, which usually decline with age and impair cell function, revealed that, 3 years later, omega-3 supplemented patients had aged 3 months less than the placebo group. When combined with vitamin D supplements and exercise, the ageing of the markers decreased even more, highlighting a multi-faceted approach to improve healthiness in older patients.
Dietary dilemmas
Whilst a diet rich in omega-3 is to be promoted to older patients, they may not enjoy it as much as they once did – one of the symptoms of ageing is a diminished sense of taste. Impaired taste can prompt people to add more seasoning to meals, which can, in the case of spices, increase irritation and sensitivity. Practitioners should advise moderation.
As age-related health issues become more prevalent, older patients may also be at a greater risk of xerostomia due to the side-effects of medications for complications like high blood pressure, high cholesterol and depression. Saliva is the oral cavity’s natural defence, and xerostomia leaves the teeth and gingivae vulnerable to harmful acids and bacteria.
A consistent oral hygiene routine that incorporates interdental cleaning, alongside an omega-3-rich diet can help to support the growing ageing population.
Simple solutions
To help older patients maintain a healthy oral microbiome, recommend the FLEXI interdental brush, from TANDEX. With its flexible handle and malleable brush, the FLEXI supports an ergonomically satisfying clean, allowing users to effortlessly manoeuvre it among the interdental spaces. Available in 11 sizes for personal preference, the brush can also be supplemented with PREVENT Gel, from TANDEX, adding an antibacterial effect with its 0.12% chlorhexidine content and better protecting patients with xerostomia. This outstanding combination elevates the daily oral hygiene routine, enabling optimal levels of cleanliness.

By promoting positive lifestyle choices, dental practitioners can make invaluable contributions to the wellbeing of older patients, ensuring that the UK’s ageing population get the most out of a longer, healthier life.
For more information on Tandex’s range of products, visit https://tandex.dk/ Our products are also available from DHB Oral Healthcare https://dhb.co.uk/ n
about the author
Jacob Watwood on behalf on tandex.
Dental researchers are constantly seeking solutions to problems faced in the profession, with technological and biological innovations over recent years spurring on progress. One area which is able to have a big impact on dental health is the advent of bioactive glass. With the increase in popularity of minimally invasive and biomimetic techniques and procedures, the demand for biologically compatible materials is set to continue to rise. Ultimately, the use of such materials will result in improved outcomes for patients, minimising the risk of complications and the body rejecting foreign materials. It’s important to explore how this material came to be, how it has evolved for use in dentistry, and what its impact might be going forward both for patients and the profession.
the history

grow, making it useful for fighting bacterial infections, including when used as a dental implant coating.
Due to its antimicrobial and bioactive benefits, Bioglass has been implemented in a range of clinical applications including spinal implants and tissue engineering. In dentistry, bioactive glass was first used in bone replacement, maxillofacial reconstruction, and implants, in addition to its uses as a restorative material, dental adhesive, enamel regeneration solution, and as part of dental hypersensitivity treatment.

In 1969, Professor Larry Hench (pictured, University of Florida), was inspired by a US army colonel who had just returned from war to create a material that could bond to bone. At the time, the only implant options available for this purpose were made from metal or polymers which were incompatible with the biology of the body. Professor Hench developed a material termed Bioglass –comprised of silicon dioxide, sodium oxide, calcium oxide, and phosphorus pentoxide –which had the ability to form a strong bond with bone and precipitate hydroxyapatite. This composition forms the basis for Bioglass, to which other minerals may be added for specific purposes. For example, in dentistry, fluoride ions may be introduced to induce the formation of fluorapatite, which is more acid-resistant than hydroxyapatite. This makes the addition of fluoride an important part of bioactive glass use in dental applications due to the neutralising benefits it provides to dental structures.
the science
In order to appreciate how bioactive glass might benefit your patients, it is useful to understand how it works. When placed at the problem area, bodily fluids hydrate the bioactive glass and initiate a conversion reaction. Following this, a thin layer of hydroxyapatite (or fluorapatite if fluoride is included) forms over the surface of the teeth, thickening over time. This coating helps to protect the teeth against the impact of acid attacks from food and drink consumed throughout the day, therefore reducing the risk of enamel wear and caries development – two key issues faced by patients today. It is also helpful to have an understanding of the properties of bioactive glass, being biocompatible, non-toxic, and chemically stable in the body, making it an excellent option for many patients. Bioglass also has antimicrobial properties, creating an unfavourable environment for bacteria to
When applied regularly to the teeth, through a toothpaste for example, bioactive glass offers patients excellent benefits. The acid-resistant fluorapatite coating over the teeth acts as a line of prevention against the sugars and acids encountered in everyday food and drink – enabling patients to enjoy a balanced diet without the worry that their teeth will suffer the consequences.
BioMin® F is an advanced toothpaste, formulated with a revolutionary bioactive glass that strengthens and protects tooth enamel. Its extra fine particles bond to the tooth surface, gradually releasing low levels of fluoride over 12 hours for long-lasting protection. This bioactive glass responds to changes in oral pH – reacting when exposed to acidic or sugary foods – to rapidly release essential minerals and neutralise acidity, reducing the risk of tooth decay.
In order to best provide your patients with oral care solutions that work for them, it’s important to consider their biology and the ways in which the toothpaste they use might better help to protect their teeth and prevent decay. Bioactive glass is an exceptional technology that harnesses the minerals needed for strong teeth and bones and releases them in the presence of acid, complementing the patient’s biology for long term protection.
For more information about BioMin®, and their innovative range of toothpastes, please visit www.biomin.co.uk, or email marketing@biomin.co.uk.
Calling all dentists!

Do you want samples or a practice visit? Speak to our UK dealers, Trycare on 01274 88 55 44 or email: dental@trycare.co.uk, or CTS on 01737 765400 or email: sales@cts-dental.com n
about the author alec hilton: Ceo at BioMin technologies ltd




















































































Bactericidal, with yeasticidal activity against enveloped viruses (enveloped viruses incl. HBV, HCV, HIV, and coronaviruses), non-enveloped adenoviruses and noroviruses.
Orotol Plus disinfects, deodorises and cleans all suction and amalgam separating systems and spittoon bowls. Use alongside MD555 to descale and physically clean all components of the suction unit and drain lines.
Orotol Plus is non-foaming, designed to protect and care for your suction unit. It’s high-standard material compatibility ensures performance and longevity.
For more information visit www.duerrdental.com/en/products/hygiene


Headaches need little introduction. For people aged five to people aged 80, headache disorders are one of the three most common neurological conditions. There are many common, well-known causes, such as stress, disrupted sleep patterns, certain foods and, famously, alcohol.
However, many may overlook the importance of the temporomandibular joint (TMJ) as a risk factor for headache disorders. Recent awareness has grown after Zoe Ball, a BBC Radio 2 broadcaster, stepped down because of chronic headaches relating to a temporomandibular disorder (TMD). This demonstrates how impactful headaches can be to daily life and work, increasing the need to identify and manage at-risk patients before their quality of life is disrupted.
Cause and effect
In a headache, pain occurs when inflammatory substances are released around the nerves and blood vessels of the head, causing that splitting sensation. Headache disorders affect approximately 40% of people, whereas TMD symptoms, such as jaw pain and stiffness, can be experienced by 40-70% of the general population. The relationship between TMD and headaches is notable; they are common pain conditions that often co-exist. Both are more common in women.
The bidirectional connection between TMD and headaches creates a painful cycle: TMD may be the original cause of a headache and may worsen existing ones, whereas a headache may trigger or aggravate TMD. This comorbidity makes the relationship hard to pinpoint –headaches originating from TMD can be caused by pain in the temporalis muscle, the masticatory muscles or in the TMJ. Another part of the connection between the two can be attributed to the trigeminal pathway, where nerve activation is thought to play a major role in headache and facial pain disorders. Whilst more research is needed to define the link, there is evidence that it does exist: 82.8% of painful TMD patients reported headaches and 59.3% of headache patients had TMD.
One of the most prevalent subtypes of a primary headache is a migraine, often triggered by nausea, increased sensitivity, external stimuli, and TMD. Able to last anywhere between 4-72 hours, migraines are considered the second most debilitating diseases in the world. A migraine can impair function in both work and home life, as well as disrupting family and leisure activities, with 71% feeling that migraines affect their mental health and 60% finding that their relationships are impacted by them.
Impairment from work is damaging to the economy: 43 million days of work are lost each year due to migraines. However, it can have a great toll on a person’s physical and mental health. Repeated time off work can cause a build-up of tasks, causing employees to lag behind their workload when they return. This can increase stress, aggravating further migraines. Furthermore, 52.7% of migraine sufferers have disrupted sleep patterns. Between sick leave and insufficient sleep, migraines can impact workplace productivity, leading to higher levels of stress that can exacerbate the migraines further. Whilst time off work is unavoidable, this vicious cycle from TMDinduced migraines can be managed with support from dental practitioners.
As awareness of the relationship between TMD and headaches grows, patient education is essential to eliminate concerns and reduce symptoms. At-risk patients, such as women aged 20-50 or patients who are in stressful jobs, should be encouraged to avoid hard or chewy foods, as well as finding ways to stop parafunctional habits like clenching or grinding. As excessive function can cause symptoms to appear, resting the masticatory system can reduce the risk of headaches or facial pain. To alleviate pain, applying heat or ice to sensitive areas is recommended. For a lasting

change, physical therapy is crucial for chronic TMD patients. Motion exercises decrease pain and improve function, assisting patients in their journey to restore quality of life.
A great device for at-home therapy is the OraStretch® Press Jaw Rehab System from Total TMJ. A simple yet reliable useroperated system, it stretches the mouth open to mobilise the jaw. As well as enhancing function, the system treats pain and swelling, limiting the prevalence of headaches. Patients can follow the recommended daily exercises to rehabilitate their TMJ, improving quality of life and containing regular migraines to a oneoff occurrence.
Headaches are so common many may think they are a normal part of life. By aiding patients at-risk of TMDs, dental practitioners can help reduce their prevalence, ensuring work days aren’t missed, sleep is undisturbed, and life is happier and healthier.
For more details about Total TMJ and the products available, please email info@totaltmj.co.uk n
about the author Karen harnott, totaltMJ operations Director.

Along with toothbrushing and interdental cleaning, patients may also incorporate a mouthwash into their oral hygiene routine. Whilst some may turn to a mouthwash for its ease and effectiveness, practitioners can recommend it to patients for more limited timeframes, such as before and after dental treatment. There are benefits in using a mouthwash before an upcoming procedure, as they can better prepare the oral cavity by reducing harmful bacteria and inflammation. For patients emerging from a treatment, such as an extraction, an effective mouthwash can promote healing and decrease the risk of infection. Curaden is a passionate believer that a healthy body needs a healthy mouth. To give patients the best prophylactic solutions to support their oral hygiene, consider their Curaprox product range. Across the whole spectrum of oral health, from toothbrushes to travel kits, Curaprox products are carefully designed to empower patients to manage their oral health and better look after their body.
Perio Plus: Mouthrinse Innovation from Curaprox
The Perio Plus range of mouthwashes supports patients by offering three different variants to support their oral health in various scenarios. This allows the patient to tailor the Perio Plus rinse for their particular oral health requirements. Setting it apart from other chlorhexidine mouthrinses, all of the Perio Plus mouthwashes contain Citrox, a natural bioflavonoid compound with effective antibacterial properties. Additionally, to help with patient compliancy, Perio Plus mouthrinses have a pleasing taste profile both during and after rinsing, with little effect on the taste buds. This ensures the food can still be fully enjoyed, improving compliancy.



Perio Plus Forte is Curaprox’s strongest formulation containing chlorhexidine digluconate at 0.2%, boosted by the Citrox bioflavonoid compound.
With this effective anti-bacterial formula, Perio Plus Forte is ideal for patients to use pre- and/or post-dental treatments, helping reduce plaque, inflammation and infection. Perio Plus Forte is ideal for adjunctive use either side of more invasive dental procedures (e.g. periodontal and surgical) while still retaining a fresh, pleasant flavour to improve patient compliance and post treatment outcomes.
also contains hyaluronic acid to help tissue healing and regeneration, making it especially beneficial for post-perio, surgical and implant procedures, as well as the antiviral agents cyclodextrins for added protection. Additionally, Perio Plus Regenerate is helpful for patients who have oral surfaces that are compromised due to dry mouth caused by diabetes, medication, underlying medical conditions and chemotherapy or cancer treatments. Perio Plus Regenerate offers a highly effective formulation for many oral health scenarios with flexibility of use depending on the need as well very pleasant taste

the Innovative alternative

Perio Plus Regenerate brings some real innovation to the established CHX mouthrinse platform. As well as its pleasant flavour, the mouthwash offers a gentler but very effective antibacterial formulation that patients can use for up to one month if required. In addition to its Citrox and 0.09% chlorhexidine content, Perio Plus Regenerate
Rounding out the trio of Curaprox mouthwashes is Perio Plus Balance. In addition to containing 0.05% chlorhexidine digluconate and the Citrox bioflavanoid compound, Balance also has sodium fluoride at 0.05%. This provides extra protection against caries, especially for patients more at risk. Perio Plus Balance offers patients with established dental conditions an effective maintenance mouthwash to help support their daily oral care routine. It is also recommended for supporting oral health for patients having orthodontic treatment and those who are medically compromised or have impaired mobility. Developed by the innovative minds at Curaden, the Perio Plus mouthwash range has an appropriate solution for all patients and their various oral care scenarios and needs. Recommend it today and support Curaden in protecting overall health by looking after our oral health.
To arrange a Practice Educational Meeting with your Curaden Development Manager please email us on sales@curaden.co.uk
For more information, please visit www.curaprox.co.uk and www.curaden.co.uk n



-Ready to use, pre-mixed 2g syringe with 20 x 22G Cannulas
-Fast setting time: 3 to 5 minutes
-High compressive strength
-No discolourations
-High radiopacity
-Wide range of indications
INDICATIONS INDICATIONS
INDICATIONS
Pulp stones, also known as denticles, pulpoliths or endoliths, are calcified masses, which can exist freely within dental pulp tissue or be attached to or embedded in dentine. They are commonly occurring, and can be found in healthy or carious teeth, and can affect in coronal or radicular pulp. They can be present in deciduous, permanent and unerupted teeth.
The exact cause of pulp stones remains unclear, however they have been linked to pulp degeneration, age, circulatory disturbances, orthodontic tooth movement or caries, deep fillings or chronic pulp inflammation. Some studies have suggested possible links between systemic factors, such as those that contribute to the formation of kidney stones.
Generally too small to cause any symptoms, these calcifications can be singular or multiple and can become very large. Pulp stones can put pressure on nerves, causing pain and sensitivity. They can also obliterate or block access to root canals, threatening the success of endodontic treatment. However, with the right planning, equipment and skill level, even the largest and most challenging incidences of pulp stones can be managed effectively.
What are the different types of pulp stones?
Pulp stones are classified based on their structure and location within the tooth. True pulp stones are made of dentine, and lined by odontoblasts, and are generally found in coronal pulp. False stones are formed

through the mineralisation of degenerating epithelial cells which takes place in stages. Initially, cell nests become enclosed by fibres that absorb mineral salts.
Stones embedded in dentine are formed in the pulp, but merge with the physiological formation of dentine and can become fully or partially enclosed within the canal walls. They are most often found in the apical portion of the root. Adherent pulp stones are less attached to dentine. Unlike embedded pulp stones, adherent pulp stones are never fully enclosed.
Free pulp stones are surrounded by pulp tissue, and are not related to the canal wall. They are the most common calcifications to be found in radiographs. These stones can range in size from 50μm to several millimetres in diameter, occluding the entire root canal.
Pulp stones can further be classified according to those with concentric laminations, and those without distinct laminations. Laminated pulp stones are usually of a larger size, and nonlaminated stones are generally rougher, with smaller stones attached to the surface.
Common variations in the size, shape, and location of pulp stones can make them difficult to recognise in radiographs. They may be round or oval in shape and can exist as a single mass or multiple pieces, located in the pulp chamber, the root canal, or both areas.
Pulp stones are thought to be microscopically present in over half of the teeth of young individuals and in nearly all teeth of those over the age of 50. As they grow, these calcifications can conform to the chamber’s shape. In rare cases, the canal can change shape or grow to accommodate the pulp stone.
Pulp stones can lead to clinical problems such as pain, pulp necrosis, or complications during endodontic procedures. If a pulp stone obstructs root canal therapy or causes other issues, the typical treatment involves a procedure to remove the obstruction. This can be a complex and difficult procedure, requiring considerable skill and appropriate equipment and facilities.
Where pulp stones require removal, the use of extended rose burs or ultrasonic devices with endodontic tips may be useful, alongside thorough irrigation of the canals, and comprehensive canal obturation can contribute to a positive treatment outcome. Navigation and instrumentation must be precise to avoid potential complications like perforation, the unnecessary removal of hard tissues or the weakening of the tooth structure.
COLTENE provides a comprehensive solution to support every endodontic process. The CanalPro X-Move is a cordless endodontic motor with an integrated root canal apex locator, insulated contra angle with super mini-head and slim neck. When used with the HyFlex OGSF sequence, consisting of Opener, Glidepath, Shaping and Finisher files the picture is complete. With excellent cutting efficiency and flexibility, these files assist clinicians with even the most complex cases.
Pulp stones can cause considerable discomfort for patients, and can require precise instrumentation as well as advanced skill to ensure the success of endodontic treatment. With the right tools and training, these commonly occurring calcifications can be managed successfully, however large or challenging they may be.
For more on COLTENE, visit colteneuk.com, email info.uk@coltene.com or call 0800 254 5115.

About
the author
Nicolas Coomber, COLTENE National Account & Marketing Manager.

For years, independent dental practice vendors have faced limited and often unsatisfactory options when selling their practices. Traditionally, these options involve the complete transfer of operational control, with earn-out structures designed primarily to protect the corporate buyer. This often results in disappointing outcomes such as the loss of key staff, diminished morale, and earn-outs not being realised.
A side effect of these limited options is that the sales journey typically begins at retirement, or as principals reach a point where the burden of running a business outweighs the benefits. But what about positive options for growing and ambitious practices?
For principals who have wished there was a better option, now there is.
Introducing DeNovo Dental Partners (DeNovo) – a new model for UK Dentistry
DeNovo is on a mission to transform the UK dental practice sector with a shared ownership model that offers a refreshing alternative option for principals planning for the future of their practice. Upon sale to DeNovo, Partner dentists receive the majority of their payment upfront, in cash, and take a minority stake in the DeNovo parent company. This investment and the shared ownership model creates a ‘best of both worlds’ proposition where the Partner dentist maintains practice autonomy, just with a whole lot more support from an aligned ownership community. By leveraging DeNovo’s collective strength, Partner dentists can accelerate practice growth, improve profitability, and participate in the broader success of the company. DeNovo’s unique model has drawn on best practices utilised around the world, from Australia to Canada, and is tried and tested. It creates a truly new opportunity for
dentists to enjoy the benefits of both independent and dental group environments.
The financial benefits
Like other selling options, DeNovo Partners benefit from the release of capital from their business, but that is pretty much where the similarity ends. Rather than any hold back, DeNovo Partners are paid the full value of the business upfront, with the majority paid in cash and the rest in shares of the DeNovo parent company. Additionally, rather than the amount a seller receives being set at the sale date, DeNovo continues to incentivise Partners by rewarding them in future years for the growth of their practice. Finally, the issuance of shares in the parent company means the Partners reap the benefit of share value increase, resulting from both the growth in the individual practices as well as from the arbitrage that results as the parent company scales.
Multiple wealth creation opportunities –earlier than previously thought possible DeNovo Partners have multiple wealth creation opportunities and – due to the unique model –they can begin realising them earlier in their career than they had expected. Because of the continued incentive payments, DeNovo Partners need not fear missing the opportunity of maximising the value of their practice before selling. They can join now, leverage the support of the community and resources, and still be rewarded for growth. This makes DeNovo an ideal environment for dentists looking to take their practices to the next level, not for those who wish to retire imminently.


Additionally, the share value does more than align the Partners and the management team around the growth and value creation for the company. Down the line, upon a liquidity event, Partners receive yet another gain when their shares can be converted to cash. Looking at the financial benefits collectively, DeNovo Partner’s opportunity significantly outperforms what a traditional model would deliver.
The DeNovo mission – it’s not a retirement plan, it’s a growth plan
Ultimately, the objective of DeNovo is to create a community where Partners and their teams thrive and grow. DeNovo is on a mission to empower dentists through partnerships that encourage real clinical and business autonomy while offering a new level of support, thanks to extensive collective resources. It’s not a retirement plan; it’s a growth plan – and it’s one designed to ensure that dentists and their teams reap the rewards of that growth.
As such, DeNovo provides an excellent proposition for any dentist with a high-performing practice looking to plan the next phase of their career. Totally unique to anything else in the UK right now, DeNovo offers a better option suited for the forward-thinking clinician. Find out if DeNovo is right for your practice’s future by visiting www.denovo.partners today
Success in business isn’t just luck — it’s timing, positioning, and thinking a few steps ahead.
Our consultants work with you to plan the right move at the right time — backed by market insight and a network of serious buyers.
Every decision matters.
Let’s make yours count.
SprintRay has been supplying the dental professional with state-ofthe-art 3D printing equipment and solutions since 2014. It is the only provider of a complete end-to-end digital ecosystem of technologies, revolutionising and reimagining the 3D printing workflow for dental professionals worldwide.
A world first
The latest addition to the SprintRay portfolio is the Midas 3D printer. This is unique for a number of reasons:
• It’s the first digital restoration press available around the world.
• It offers the smartest yet simplest method of 3D printing for dental restorations.
• The multitalented solution can produce several restorations at once for unparalleled workflow efficiency – and absolutely no compromise in accuracy and quality.
• By utilising Digital Press Stereolithography technology and hydrodynamic principles, Midas makes it possible to use lower viscosity resins, substantially increasing material options.
• The 45 µm projector maximises precision by minimising light distortion to the print glass.
Want to know more? The Midas Restoration Tour is coming to Europe, landing in London on 5th June 2025! This will be the ideal opportunity to see Midas in action, to appreciate the sophistication of the technology and better understand the simplicity it affords to 3D printing workflows in dental practices and labs or all sizes.

You’ll hear directly from Dr Robbie Hughes, who will be sharing his extensive experience in digital dentistry and 3D printing, as well as showcasing how Midas elevates patient care. In addition, SprintRay will be presenting the day in conjunction with exclusive event partners, iTero and Ivoclar, exploring the entire restorative workflow from start to finish. The opportunity to try the iTero intraoral scanner provides accurate digital data capture for predictable restorations. Attendees will then see how to implement Ivoclar placement protocols for the best clinical outcomes, using advanced bonding protocols for exceptional 3D printed restorations featuring Ivoclar’s Adhese® Universal Vivapen® and Variolink® Esthetic. By employing the combination of powerful AI-driven solutions, dentists and dental technicians everywhere can now enjoy the benefits of optimises integration, efficiency and accuracy in all their restorative workflows. Register for the Midas Restoration Tour here: https://sprintray.com/en-uk/thesprintray-midas-roadshow-europa/.
A heritage of excellence
Midas shares the same pedigree that SprintRay 3D printing technologies

have developed over the years. Several generations of equipment have been renowned among the profession for their accuracy, durability and reproducibility, consistently remaining ahead of their time to enhance professional workflows and patient experiences.
Dr Neil Harris, Clinical Director of HRS Dental Care, has worked with SprintRay 3D printers for the last four years. He reflects on his experience of working with SprintRay equipment:
“My 3D printer from SprintRay is the workhorse of the practice – it’s running almost all day every day. I believe SprintRay 3D printers are the best on market – they are designed well, robust and open source, eliminating any restrictions on the resins that can be used. The speed is phenomenal – I can print models in 20 minutes, with firstclass quality of fit every time.
“The equipment has also been incredibly easy to use. Importantly, because I’ve used scanners for years, the 3D printer allows me to leverage that data and feeds into the overall workflow to produce predictable products. It also means patient care can be delivered more quickly and products are often of a higher quality than what traditional lab workflows allowed. Being better, faster and cheaper, it ticks all the boxes.
“The service is also very good. In four years with SprintRay, I have contacted customer service twice. I received a call back within 30 minutes both times to talk me through the solution.
“3D printing has transformed the way I practise dentistry. Our new patients are absolutely blown away by what we are able to achieve.”
As Neil mentioned, SprintRay strives to deliver a standard of service and support that reflects the exceptional quality of its technologies. That means there is always someone available to provide advice and guidance, to answer your questions and to help you fully maximise on the benefits that your equipment offers for outstanding return on investment. The expert team are only ever a phone call or email away!
Whether you are new to 3D printing or looking to upgrade your current set-up, SprintRay is here to help.
For more information on the cutting-edge 3D printing solutions available from SprintRay, please visit sprintray.com/en-uk/the-sprintraymidas-roadshow-europa/


Confidence in dentistry is paramount. When clinicians are confident in their abilities to perform treatments and choose exceptional materials and techniques, patients are happier with their care.
This is why, when dental professionals are selecting solutions to turn to in their own practice, they should seek out those loved by other clinicians.
With the latest edition of the Dental Advisor Awards for 2025, a number of items from Solventum, formerly 3M Health Care, were crowned as Top Award Winners. Each solution offered advantages for restorative and general dental care, and clinicians can be sure to find ways they can improve their everyday treatments.
A future with fluoride Fluoride application is a vital treatment for dental professionals, providing protection for patients. Clinpro Clear Fluoride Treatment, from Solventum, is designed to deliver fluoride quickly and effectively, whilst ensuring treatments remain comfortable for patients.

The formula is water-based and rosinfree, and ready to apply to the dentition immediately. Choose from watermelon, mint and flavourless solutions to tailor to your patients’ tastes. A minimum contact time of just 15 minutes means that appointments can be kept short, fitting seamlessly into a patient’s busy schedule, so they don’t compromise on their oral health.
For clinicians, application is simple. The unique press and go L-Pop™ delivery system ensures fluoride is placed accurately and quickly. Alongside its maiden Top Award Winner status from Dental Advisor, consultants noted that it had a clear and smooth application, and patients enjoyed a ‘fresh from the dentist’ feel.
restorative care
Restorative dentistry is another cornerstone of oral healthcare. For many patients, dental truama or decay can be a significant source of anxiety and discomfort – both physically and mentally. The clinician that can transform this feeling, making smiles something to be proud about.

The Filtek Easy Match Universal Restorative from Solventum is one solution to create seamlessly aesthetic results. The three choices of composite shades –Natural, Warm and Bright, to match almost any patient’s dentition – each featuring a naturally-adaptive opacity. This means that


it better reflects a natural appearance. At a thickness greater than 2mm, it can deliver a dentine-like opacity, and at thicknesses of 0.5-1mm it can better reflect the translucency of enamel, both without the need for a blocker.
This means that clinicians utilising the Filtek Easy Match Universal Restorative can craft natural-appearing restorations with enamel-like translucency at the bevel and incisal edges for a convincing result. For indirect restorative care, confidence that a prosthesis can be long-lasting and effective lies, in part, with the adhesive of choice. The RelyX Universal Resin Cement, from Solventum, with its fifth Dental Advisor Top Award Winner title arriving in 2025, was recommended by 100% of consultants that tested it. It is a versatile solution that can be relied upon for a variety of clinical needs, with outstanding self-adhesive bond strength, which can be strengthened even more with Scotchbond Universal Plus Adhesive meaning the cement is suitable for veneers, adhesive bridges, inlays, onlays and crowns. Get in touch with the Solventum team to find out if the RelyX Universal Resin Cement can make a difference to the success of your clinical care.

Ask us anything
The Solventum team is committed to ensuring clinicians can practise dentistry with confidence. Whenever a dental professional has a question about a Solventum solution, even before they have tried it, they should get in touch with the team for support. Whether you want to provide effective fluoride application, or take on an array of restorative treatments choose Solventum. To learn more about Solventum, please visit https://www.solventum.com/en-gb/ home/oral-care/
For more updates on trends, information and events follow us on Instagram at @solventumdentalUK and @solventumorthodonticsemea
©Solventum 2024. Solventum, the S logo, Clinpro, Filtek, Scotchbond and RelyX are trademarks of Solventum and its affiliates. 3M is a trademark of 3M company.































































































Bis-GMA-free formulation: for better biocompatibility
Easy stocking: only 1 shade for economic sustainability

Structural shade without artificial colour pigments: adapts seamlessly to any tooth shade from A1 to D4



Samples & More

Oral hygiene routines need leading solutions to deliver high-quality results over time. Patients may have their personal favourite toothbrushes or toothpaste choices, but when it comes to interdental cleaning, not all water flossers are equal. Clinicians should recommend by name, and suggest they try solutions from Waterpik™.
Established as the #1 selling water flosser brand in the world, and approved by the Oral Health Foundation, Waterpik™ is built on a legacy of improving patient care. With a range of solutions, from the beloved Ultra Professional water flosser to the all-new, accessible Cordless Pulse water flosser, there truly is a Waterpik™ water flosser for every individual.
Your first water flosser
For many patients, interdental cleaning is not necessarily an issue of habit formation or convenience as it is a problem with accessibility. The new Waterpik™ Cordless Pulse water flosser is the most affordable Waterpik™ solution yet. The rechargeable, portable unit is suitable for the everyday bathroom or even tucked away for travel. Its easy-to-use pressure control system features a high and low setting, to maximise patient comfort, and removes up to 99.9% of plaque bacteria from the around the teeth in as little as three seconds. This gives patients the greatest opportunity to reduce caries incidence, periodontal disease and bad breath, which can in turn build confidence in their smiles.
The Cordless Pulse water flosser is portable, and has a waterproof design that means it can also be used in the shower, for maximum convenience. For patients that haven’t previously performed interdental cleaning, the Cordless Pulse keeps the routine simple – patients pick their tip (either Precision or Tongue Cleaner) and pressure setting, aim, and clean with a confidence that only Waterpik™ solutions can provide. They no longer have to worry about the size of their interdental brush or how to properly use traditional floss.
advance your care
For patients looking for a solution that can be further tailored to their needs, the Cordless Advanced is a leading water flosser with ultra-quiet operation, a compact design, and three unique pressure settings. It features a magnetic 4-hour rapid charging system, 45 seconds of water capacity, and a 360-degree tip rotation, which means patients can configure its position for ultimate comfort.
Alongside being clinically proven to be 50% more effective than traditional dental floss for improving gum health, the Cordless Advanced actively massages and stimulates gingival tissue to improve circulation and keep the periodontium strong and healthy.
Some of the true brilliance in the Cordless Advanced lies in the water flossing tips, four of which come alongside the unit. Patients can then choose the tip that suits their needs, from the Precision Tip helping everyday needs, to the Plaque Seeker Tip which helps to remove bacteria and debris from hard-toreach sites around dental restorations. By combining versatility with clinically proven results, it’s no surprise that dental professionals recommend the Cordless Advanced, alongside other Waterpik™ water flossers, to their patients.
think bigger with the Ultra Professional water flosser
For thorough cleans with the greatest range of tips and pressure settings, patients need look no further than the Ultra Professional counter-top water flosser from Waterpik™. Its reservoir capacity of 90+ seconds ensures a non-stop cleaning experience, with 10 settings on the most advanced pressure control system meaning patients can ensure their routine feels just right. For patients with sensitive gums, or who prefer a hard-working water stream, this is the perfect option.
Plus, with the specialised Orthodontic Tip, the Ultra Professional counter-top water flosser is clinically proven to be up to 3x more effective than dental floss for cleaning around braces. When patients are looking to maximise the results of such treatment, clinicians can recommend a brand and a water flosser they know that they can trust. With 80+ clinical studies backing every solution, Waterpik™ is here to help your patients. Get in touch with the team today to learn more about how you can support at-home oral hygiene routines. For more information on WaterpikTM water flosser products visit www.waterpik.co.uk. WaterpikTM products are available from Amazon, Costco UK, Argos, Boots and Tesco online and in stores across the UK and Ireland. n

Digital dentistry is revolutionising how clinicians are caring for patients. In particular, cuttingedge technologies have changed the game in dental implantology, allowing practitioners to deliver highly predictable solutions in ever-more complex situations.
To fully utilise the advantages available, it is essential that clinicians have sufficient experience and skill using analogue processes, as well as training specifically on the digital solutions they use. This is a topic that Dr Henry Cairns is passionate about, having developed his skills and experience in the area over the past few years. He reflects on the impact that digital solutions have had on his workflow and the patient care he can deliver:

“Ultimately, digital dentistry affords greater accuracy during treatment provision. The latest diagnostic imaging and planning software enable me to be more precise with my treatment planning and execution. These technologies also make it possible to create smile simulations that help patients understand the estimated final outcome, which is beneficial for treatment acceptance and quality of consent. In addition, I can review the 3D model between appointments to accurately assess the likely success of different approaches, even without the patient being in the chair.”
As an advocate for guided surgery, Henry goes on to discuss the potential benefits of this clinical approach:
“Guided surgery is another major reason why digital dentistry is so useful within the implant field. I utilise a guided approach as often as possible as it increases the accuracy and efficiency of treatment I provide. Patients appreciate having to spend less time in the chair. They also respond favourably to smile simulations made possible with digital planning software and 3D modelling. Not only do they better understand what to expect from treatment, but they also have more realistic expectations as they can relate to the images of their own mouths more easily than generic models. This boosts treatment acceptance too.
“Guided implantology also delivers enhanced clinical outcomes, increasing the chance that implants are placed exactly as planned, significantly reducing the margin for error. This approach facilitates prostheticallydriven treatment. As such, implants can be confidently restored because the implant

position is planned according to the ideal restorative situation. The clinical workflow is more straightforward and the result more predictable. When approaching full arch cases, these benefits are even more pronounced, as accurate implant positioning is critical when working with reduced bone volume and other potential defects.
“When it comes to referrals, the shorter treatment times and fewer appointments afforded by a fully digital workflow are advantageous for the dentists I work with and their patients. The digital workflow enables easy communication with the referring dentist, meaning we can discuss cases and share ideas without any physical limitations. It also improves collaboration and ensures that they remain involved in their patient’s care.”
Despite the advantages, barriers to digital remain for some clinicians. Henry considers what some of these might be for colleagues: “I would always encourage clinicians to try and use digital dentistry as much as they can. Outcomes and treatment processes will improve over time – just as with any new skill.
“However, many clinicians don’t use fully digital workflows, especially guided surgery, because they feel that they lose the control they have with freehand surgery. It also involves a fairly steep learning curve, which some clinicians may not have the time, desire or funds to invest into this field of their work. For those who don’t do a lot of implants, it may simply not be worth it for them.”
For any dentists who are not offering digital implant workflows or who are currently developing their skills and technologies, referring patients is an excellent way of ensuring exceptional patient care. Henry accepts referrals for a wide range of implant services from Inshes Dental & Implant Centre, Inverness, as well as M&S Dental Care, Fort William, part of the Clyde Munro Dental Group in Scotland. Here, he has access to a selection of industry-leading digital technologies, which help him deliver fast, highly efficient and predictable treatment solutions to various patients.
He adds: “Having state-of-the-art technologies in-house is integral to achieving the high clinical standards I strive for every single day. With Clyde Munro, I have the equipment and clinical support I need to always put patients first. The group has been excellent at embracing digital dentistry, providing all the tools I need, investing substantially in equipment and even providing related courses at their dedicated Advanced Dentistry & Clinical Skills Centre.”
To ensure your patients are receiving the best possible implant treatment, make use of the digital workflows available through Henry Cairns and Clyde Munro. Contact the team to find out more today.
Contact Henry Cairns at Inshes Dental & Implant Centre, Inverness by emailing Henry.Cairns@clydemunrodental.com or calling 01463 794949 n











Perfectly coordinated products with easy and efficient application for safe and aesthetic results for direct restorations!
Universal all-in-one adhesive for all etching techniques

Fluoride-releasing composites for multiple indications

Superior finishing and polishing disks








































For further information, please contact the SHOFU office 01732 783580 or sales@shofu.co.uk



dr Viraj Patel presents a case requiring different surgical techniques and bone augmentation to deliver a stunning outcome in a timely manner
There are several clinical techniques available to the modern implant dentist. Immediate protocols have grown in popularity and now offer a safe and effective solution in many situations, affording faster treatment times and enhanced aesthetic outcomes. Where required, bone grafting with immediate implant placement delivers excellent results. In particular, socket grafting can reduce the amount of horizontal bone loss and enhance soft tissue stability.i It is also possible to combine techniques, utilising both immediate and delayed placement in the same case. There are even situations that require the placement of two adjacent implants. In this scenario, it is crucial to have sufficient interproximal space to reduce bone loss and help achieve good aesthetics. The gap must be large enough for two standard diameter implants, with ideally 3mm between themii,iii and a safety zone of 1.5mm between the implants and the neighbouring teeth. That means a minimum gap of approximately 14mm is required to safely and effectively place two implants in adjacent sites – no matter what placement protocol is selected. The following case demonstrates the placement of two adjacent implants, each requiring a different surgical approach.
A 58-year-old female patient presented looking to improve the aesthetics and function of her dentition. During a consultation with another clinician, she had been offered conventional implant treatment involving the removal of the UL4 – which had a root-filled retained root – and delayed implant placement. The patient was hesitant to proceed in this way due to the predicted treatment time and expense.
Upon presentation, the initial assessment suggested that an immediate implant may be viable for the UL4 site, alongside simultaneous implant placement in the already healed UL5 site.
A comprehensive clinical assessment was conducted. The patient was generally fit and healthy, was taking no medication, had no allergies and maintained fair oral hygiene. The UL5 site, which had been edentulous for approximately 7 years, presented with a substantial depression. This made immediate and simultaneous implant placement even more appropriate for the UL4/5, utilising the bone peaks around the UL4 to create a more favourable UL5 implant position and simultaneous augmentation. Other findings of note were signs of tooth wear on the UL3 and UL6, although these were periodontally sound and completely stable.








Aside from no treatment and the conventional delayed implant placement approach already offered to the patient, another option would have been a single implant in the UL5 site and restoration with a cantilever bridge. The existing tooth wear suggested potential parafunction, which would have put considerable pressure on one implant and the resulting restoration, so the professional recommendation was two implants at the UL4/5 sites.
treatment planning
Approximately 15mm of space was available between the distal of the UR3 and mesial of the UR6, which highlighted the importance of absolute accuracy when positioning the implants. Guided surgery was, therefore, indicated as a way of optimising precision.
Treatment was prosthetically-driven and planned using digital software to determine the ideal implant positions and angles. Immediate Provisionalisation with a non functionally loaded custom healing abutment was to be implemented for the UL4 site, to




reduce the impact of any parafunction on the implant during healing. Custom healing abutments are a great tool to support soft tissue in relation to the existing adjacent teeth.
A CBCT and intraoral scans were taken and uploaded to the SMOP portal to design the surgical guide as per the clinical plan. These were 3D printed ahead of the surgical appointment.
treatment provision
The UL4 root was extracted as atraumatically as possible. The roots were thin and spindly, and needed to be split to be removed safely. They were sectioned in a mesial-distal direction to leave the buccal and palatal roots separate, reducing the risk of fracture and preserving the interdental and surrounding bone.
A flap was raised in the UL5 site using a paracrestal incision – vertical incisions were avoided to preserve blood supply to the gingiva, protecting the papilla between the UL6/7 for optimal aesthetic and soft tissue outcomes. Technically, a flap is not typically needed for many immediate implant



cases. However, the UL5 site needed augmentation and mild atrophy of the ridge was present. The clinician does not advocate flapless procedures for implant placement due to the need to see the underlying ridge and implant following placement.
The surgical guide was then placed in the mouth and the manufacturer’s specific drilling sequence followed, increasing the osteotomy in size incrementally.
Two 3.8mm diameter CONELOG Progressive-Line implants were placed through the guide, following the plan precisely. The UL4 implant was longer (11mm) to ensure sufficient apical bone was engaged for primary stability, it was also positioned in the palatal root to ensure good engagement with the bone and better bone to implant contact. A sizable jump gap was noted between the implant and the buccal plate of around 5-6mm. From a biological perspective, the jump gap can be left because the ridge would heal to leave a sufficient buccal plate. However, the literatureiv shows that grafting reduces the amount of bone












resorption post implant placement, which was one of the reasons that augmentation was indicated in this case.
Another predetermined concern was the amount of remaining bone surrounding an implant after placement. There was less than 2mm of residual bone buccal to the UL5 site once the implant was placed. Alberto Monje et al. (2023)v showed that thin buccal bone at the implant site increases the risk of major dimensional changes, this can have direct implications on the aesthetics and functional outcomes.
Consequently, the bone was contouraugmented, using MinerOss Blend (BioHorizons Camlog), which provides a good combination of cortical and cancellous bone for efficient bone turnover and also maintains graft stability in the healing phase. The graft was held in place with a collagen membrane stabilised using resorbable sutures. The custom healing abutment is then placed and torqued (10Ncm) into the UL4 implant before the wound is approximated and sutured using a nonresorbable 6-0 Prolene suture.
An x-ray was taken immediately postoperatively to confirm that the temporary cylinder was seated correctly and wasn’t catching on the socket walls. This image also provided a reference for the custom healing abutment position and ensured that the bone graft material added to the jump gaps wasn’t preventing this abutment from fully seating.
Review and reflections
The implant in the UL5 was uncovered three months later to reveal healthy tissues. Three weeks later the final scan was taken (using Trios intra-oral scanner) for the fabrication of the definitive crowns. On the day of crown fits both abutments were removed and the crowns seated. Due to the UL4 site having a custom healing abutment, which had been supporting our ideal emergence profile, it was much easier to engage this restoration and seat within the already moulded soft tissues. With regards to the UL5 there was some blanching around the buccal aspect of the crown due to the use of a generic abutment, which does not offer any resemblance to the ideal emergence profile for the final restoration. Regardless good prosthetic positioning had been achieved to allow for screw-retained restorations in both implants. The final restorations were fitted as single unit layered zirconia crowns on titanium bases. The patient was delighted with the results. Upon reflection of this case, a custom healing abutment may have delivered better soft tissue contouring than the
about the author
dr Viraj Patel
Bds Honours (Cardiff)
MJdF (RCs england)
Certificate in advanced Implant dentistry (New york university)
PgCert Clinical teaching (RCGP)
Clinical Implant diplomate (ICOI)
Having qualified as a dentist in 2012, Viraj has set out to gain the necessary experience to help become one of the lead Implantologists in the uK for the future.
He underwent hospital training in Maxillofacial and Oral surgery in



generic abutment on the UL5. Healing may have taken longer, but it would have been easily tolerated by the patient and may have resulted in a better biological result with optimised aesthetics.
With regards to the products selected, the CONELOG Progressive implant 3.8mm is my go-to for premolar sites. The implant is versatile in its clinical application, suitable for use in healed ridges and fresh sockets, providing good stability for delayed and immediate implant placement protocols. It’s an allin-one implant for me and I love using it. The implant connection is also great – you almost get a cold weld on the conical connection, which affords confidence that custom healing abutments will remain stable during the healing phase.
One of the main reasons I choose to work with BioHorizons Camlog, aside from the quality of the products, is that the customer service is incredible. I have
2014 and has since attended multiple dental Implant courses within the uK. In 2018 his passion for implants led him to New york City, where he enrolled for 2 years at New york university (Nyu), on the renowned advanced Implant dentistry Program. since moving back to the uK, on completion of the Program, in 2020 he has been working as a dental implantologist in private practices across London. along the way he has been awarded multiple accolades including “ItI Future star” prize by the International team





Fig 15 - 3 months after implant placement and GBR; Fig 16 - Uncovered UL5 implant, new buccal bone at least 2mm in width; Fig 17 - Day of crown fitting; Fig 18 - Difference between custom and conventional healer; Fig 19 - Adjacent to UL5, blanching on buccal tissue; Fig 20 - Screw access holes filled; Fig 21 - Layered zirconia crowns on ti bases; Fig 22 - Anterior view of the crowns in situ
complete access to the local rep, the regional and area managers when needed. There is also a great community and network of clinicians using their products, which allows me to discuss cases with friends and colleagues.
For product information from BioHorizons Camlog, please visit: theimplanthub.com
References
i. Seyssens L, Eeckhout C, Cosyn J. Immediate implant placement with or without socket grafting: A systematic review and meta-analysis. Clin Implant Dent Relat Res. 2022 Jun;24(3):339351. doi: 10.1111/cid.13079. Epub 2022 Mar 21. PMID: 35313067.
ii. Ramanauskaite A, Roccuzzo A, Schwarz F. A systematic review on the influence of the horizontal distance between two adjacent implants inserted in the anterior maxilla on the inter-implant mucosa fill. Clin Oral
Impl Res. 2018; 29(Suppl. 15): 62–70. https://doi.org/10.1111/clr.13103
iii. Degidi, M., Novaes, A.B., Jr., Nardi, D. and Piattelli, A. (2008), Outcome Analysis of Immediately Placed, Immediately Restored Implants in the Esthetic Area: The Clinical Relevance of Different Interimplant Distances. Journal of Periodontology, 79: 10561061. https://doi.org/10.1902/ jop.2008.070534
iv. Liñares A, Dopico J, Magrin G, Blanco J. Critical review on bone grafting during immediate implant placement. Periodontol 2000. 2023; 93: 309-326. doi:10.1111/prd.12516
v. Monje, A., Roccuzzo, A., Buser, D., & Wang, H.-L. (2023). Influence of buccal bone wall thickness on the peri-implant hard and soft tissue dimensional changes: A systematic review. Clinical Oral Implants Research, 34, 157–176. https://doi.org/10.1111/clr.14029 n
of Implantology in 2021, he received prizes for “the Best young Implant dentist” in the uK 2022, 2023 & 2024. On the international stage he has also won the “european Prize for Clinical Innovations in Implant dentistry” as well as winning the award for the best Clinical Case for the “Complex Implant treatment” Category and single implant tooth category at the prestigious “Clinical dentistry awards” years 2023 and 2024. He is a key opinion leader for some of the leading implant companies within the uK including (Biohorizons, Geistlich & Zimvie) and is now lecturing and presenting internationally.
He also sits on the board of notable Junior Implant Organisation committees including the NextGen Committee with the association for dental Implantology (adI) uK and the Junior Committee for the european association of Osseointegration (eaO). His passion within implant dentistry lies in Regenerative Implant dentistry including Bone and soft tissue augmentation.















Ayoung female patient presented at the practice dissatisfied with the appearance of her teeth and wanted them straightened. She sought orthodontic treatment for aesthetic improvement.
The patient was new to the practice but her family members were regular attenders who had recommended us. A full assessment of her dentition was conducted in December 2023. The patient presented with a Class I skeletal relationship and had no facial asymmetry. The naso-labial angle was normal and her lips were competent at rest. Moderate crowding was observed in the upper arch, and minimal crowding was present in the lower arch. This was the patient’s primary concern.
She had a Class I incisal relationship and the canines were in a Class II relationship by ¼ unit. The right molars were in a Class I relationship and the left were in a Class II relationship by ¼ unit. The centreline deviated 2mm to the right and there was a 2mm overjet with an overbite at 20%.
Mild wear was observed throughout the dentition. Adequate oral health was observed and the patient required no restorative treatment prior to care.
A range of treatment options were proposed, including fixed and removable appliances. After a comprehensive assessment was conducted, which included a full suite of clinical photographs and appropriate radiographs, information was sent to the lab and the case was also sent to my IAS Academy mentor, Dr Utpalendu “Pinks” Bose, to enlist his support for with this fixed brace case. Following approval from Dr Bose that the case was manageable, SpaceWize+, the digital space calculator, was used to help plan the movement of the upper and lower arch. This shows how the dentition needs to move and by how much, highlighting if any extractions or a specialist referral is required. For this case the movements were relatively minor and straightforward: the lower arch needed 1.2mm of movement and the upper arch needed 1.1mm of movement.
A 3D simulation was used to illustrate to the patient what the dentition could look like following treatment – this was completed through Archwise software. 3D models and clinical photographs were excellent for the patient’s education and consent. Fixed orthodontics were chosen instead of aligners. Given the choice of brace, the patient wanted clear ceramic brackets and 3M Clarity brackets were advised. IAS plan the movements digitally and plan the placement of the brackets. The brackets are then provided pre-positioned on a jig, bespoke to the patient. Accurate results are achieved using 3M Clarity brackers, making them an excellent option for



Fig 1 Pre-treatment upper anterior close-up





Fig 2 Pre-treatment digital plan of left lateral in occlusion
Fig 3 Pre-treatment digital plan of right lateral in occlusion
Fig 4 Mid-treatment upper occlusal view of ...
beginning a career with braces as you can be confident with the placement.
The Clarity brackets were placed quickly and simply.
Appointments occurred every 6-8 weeks throughout treatment. The brace sequence started with a .012 NiTi wire then progressed without complication to a .016 NiTi wire. Treatment continued with a 0.20” x.020 wire and then a .019” x.025 without any problems.
Because of the movement planned through SpaceWize+, interproximal reduction (IPR) was needed. Using a space file, completing IPR by hand provided excellent control and the exact amount of enamel was reduced for optimal results. Throughout the treatment process, Dr Bose supported each clinical choice, offering invaluable guidance and enhancing my confidence.
The braces were removed ten months later, achieving the desired results. Tooth whitening followed, brightening the teeth uniformly to keep consistency in the shade colour. As there were not enough irregularities to justify composite bonding, signature contouring was performed. Safe and minimal, this improved the aesthetics of the final result and treated a couple of minor worn edges. The contouring also lined up the gingival margins. Fixed retainers were then made for the upper and lower arches, with removable retainers over the top.
The patient’s keenness to participate in a photoshoot afterwards reinforced her satisfaction with the treatment outcome.
Fig 5 Bond up upper occlusal view
Fig 6 Post-treatment left lateral in occlusion
Fig 7 Post-treatment smile close-up
Fig 8 Post-treatment upper anterior close-up
She has since worn her retainers diligently and the results have endured.
The treatment plan was followed without any unforeseen problems. Using SpaceWize+, Archwise and having the support of my IAS mentor ensured that the plan was carefully considered. Both the patient and I were thrilled with the outcome; the functional and aesthetic results exceeded expectations, especially after the contouring, and the shorter time frame was also welcome for the patient.
Gaining the confidence and skills during the Fixed Braces Course from the IAS Academy was imperative for cases like this early in my orthodontic career. From learning hands-on techniques under the guidance of a mentor to applying them to daily practice, continuing the orthodontic journey through further education is vital for attaining optimal results and managing more complex cases.
Completing this case showcased how all orthodontic treatments need careful planning and how technology can streamline the workflow for more reliable, predictable results. No matter the complexity of the treatment, being able to provide the smile that the patient wants is invaluable, allowing them to feel satisfied with their teeth. Motivating patients to consistently wear their retainers afterwards is also vital; it can be easy to let good habits slide, leading to poor maintenance of the
teeth and the potential for the bite to gradually revert to its pre-treatment position. Patient compliancy increases a treatment’s lifespan and practitioners should always highlight the value of wearing retainers and having an effective daily oral hygiene routine to protect and preserve the smile.
For more information on upcoming IAS Academy training courses, please visit www.iasortho.com or call 01932 336470 (Press 1) n
about the author dr Rebecca Williams is an associate dentist with the Cox and Hitchcock dental Group in Cardiff, Wales. since attaining her Bds from the university of Wales in 2007, dr Williams has fuelled her passion for aesthetic dentistry and orthodontics with a number of courses from the Ias academy, and is part way through the advanced diploma Course. she would like to thank Professor Ross Hobson and dr utpalendu “Pinks” Bose for all of their support and mentorship, her Principals, david Cox and Robert Hitchcock, for their amazing support, and her dental Nurse, Robyn Hurley. dr Williams’ work can be found on Instagram at @rebecca_dentist_art.

Christie & Co has witnessed strong demand from both independent and a resurgence in corporate activity, creating a competitive market for practice owners considering a sale.
It is crucial sellers appoint a reputable agent to explore all market options in order to achieve the best possible price and terms for their business.
• Advised on, agreed or sold 220 practices with a combined value of £268m
• Brought 69 practices to market
• Arranged over 150 viewings
• Received 65 offers

• Seen a 12% increase in practice sales compared to this time last year SO FAR IN 2025 THE CHRISTIE & CO DENTAL TEAM HAS:
It is vital that sellers seek trusted and professional advice when considering the sale of their practice.
THINKING OF SELLING YOUR DENTAL PRACTICE? SPEAK TO THE EXPERTS









dr selvaraj Balaji presents a complex case in which a three-unit implant-retained bridge was required in the aesthetic zone, utilising an existing dental implant and necessitating hard and soft tissue









The patient, a 46-year-old male, first presented to the practice nine years ago when he received implant treatment for a missing UL2. He revisited two years ago, complaining of a failing UL1 and UR1 – both had undergone root canal treatment which had since failed. The biggest complicating factor in this case was the existing implant in the UL2 site. The patient also had a thin biotype and soft tissue recession around the natural teeth as well.
treatment planning
Any treatment plan needed to extract the failing UL1 and UR1 and replace them. However, the UL2 made this complicated. As such, there were two key treatment options:
1. Extract the UL1 and UR1 and place two implants in their places. This option would present challenges as there was an existing implant in the UL2. Three total implants could potentially compromise the bone and soft tissue between the implants. This would make this option unpredictable.
2. Extract the UL1 and UR1 and place an implant only in the UR1. Following this, use the existing implant in the UL2 to create a three-unit implantretained bridge.
All treatment options were discussed with the patient, including the option of




Fig 1 Initial presentation
Fig 2 Periapical radiograph showing implant in UL2
Fig 3a UL1 Cross Section CT
Fig 3b UR1 Cross Section CT
Fig 4 Extracted UL1
Fig 5 Extracted UR1 root
Fig 6 Post extraction site
Fig 7 UR1 implant placement
Fig 8 soft tissue graft
Fig 9 custom healing abutment placed
no treatment (which was not advised in this case). The patient provided informed consent to proceed with treatment option two, as this would provide good functional and aesthetic outcomes.
Hard tissue grafting would be required in the UL1 socket, and soft tissue grafting would be needed for the UR1, UL1, and UL2 in order to support the restoration and to improve overall aesthetics and function.
A digital workflow was used to plan the ideal position, angle, and depth of the dental implant, in relation to the existing implant and the planned restoration. This was used to inform a guided surgical approach, which aimed to optimise accuracy and predictability, and improve the overall patient experience. The diagnostic wax up, along with accompanying scans and images were sent to the dental lab to enable them to produce the surgical guide.
treatment provision
After numbing the area with local anaesthetic, the first stage of treatment involved extracting the UR1 and UL1 with a flapless approach. The UR1 root was extracted by using the Benex Extraction System, which allows removal of the tooth without fracturing the buccal plate.
Following this, guided implant placement was carried out on the UR1, this involved fitting the surgical guide in the mouth (which had been fabricated in the lab from a digital impression) and placing the implant







Fig 10 hard tissue grafting in the jump gap around implant
Fig 11a Lab made provisional bridge
Fig 11b Lab made provisional bridge
Fig 11c Lab made provisional bridge
Fig 12a Soft tissue contour post healing
Fig 12b Soft tissue contour post healing
Fig 13a Final three-unit implant-retained bridge
Fig 13b Final three-unit implant-retained bridge
Fig 13c Final three-unit implant-retained bridge
Fig 14 Post treatment smile
through the guide to achieve the exact position, angle, and depth as planned.
A soft tissue graft was harvested from the palate, and added below the buccal flap to gain buccal volume and support the papilla. Additionally, a combination of autogenous bone and allograft was placed in the jump gap around the UR1 implant, with additional hard tissue socket grafting carried out on the UL1 using allograft/xenograft.
In order to maintain soft tissue contour, a chairside custom temporary healing abutment was created, and the site was left to heal for three months.
After three months, a lab-made provisional bridge was placed to further contour the soft tissue. Another three months later, the final three-unit implant-retained bridge was fitted, replacing the UR1, UL1, and UL2.
Myself and the patient are very happy with the treatment outcome in this case. The three-unit implant-retained bridge restored the patient’s function and aesthetics, without compromising the bone and soft tissue.
discussion
The key complicating factor in this case was the existing dental implant in the UL2, placed nine years previously. This presented the decision whether to place two implants or one, ultimately deciding that placing one implant and providing a bridge would be the best outcome for the patient. Achieving a favourable soft
tissue contour between the three teeth was another challenge, requiring hard and soft tissue grafting in order to best support the restoration.
Dr Balaji provides industry-leading training courses on both hard and soft tissue management around dental implants with the ASHA Club.
For more information about how you could elevate your skills with the support of experts, please visit www.ashaclub.co.uk or call 07974 304269 n
about the author dr selvaraj Balaji: Bds, MFds RCPs(Gla), MFd sRCs(ed), Lds RCs(eng) since he obtained the Bds degree, dr Balaji has worked in Maxillo-facial units in the uK for several years and gained substantial experience in surgical dentistry. He is the principal dentist of the Gallery dental Group which is made up of Meadow Walk dental Practice and the Gallery dental & Implant Centre. dr Balaji is also the founder of the academy of soft and Hard tissue augmentation (asHa) and runs courses, lectures and study clubs in the uK and around europe for aspiring implantologists.


“With its nanotechnology and highly packed filler content, we now have a material which is high in strength but also flowable and able to achieve excellent aesthetics. It is my favoured material for the Injection Moulding Technique that I use regularly to achieve a predictable aesthetic outcome. I first used G-ænial Universal Injectable in 2021, and to say it changed the way I work is an understatement!”


Dr Micheál Healy Specialist in Prosthodontics, Alpha House Dental Practice, Birchington, Kent

Bendable tip
Exceptional strength and wear resistance
Long-lasting restorations with exceptional gloss retention

Easy access and great adaptation to every corner of the cavity

Transform the way you work Shape and contour as you inject
Universal indications Fast placement, great handling and aesthetics, for all cavity Classes (I-V)



Maintaining good ergonomics in a dental practice is vital for preventing musculoskeletal disorders (MSDs), which are common among dental professionals. Long periods of static postures, repetitive movements, and awkward positions are daily challenges that can lead to long-term health issues that shorten careers. Studies conducted over the past 10 years, including research by Mahboobeh Abdolalizadeh and Fatemeh Jahanimoghadam (who specialise in preventive dentistry), have found that dentists and dental hygienists are particularly vulnerable to musculoskeletal issues. The most commonly impacted areas include the neck, shoulders, wrists, and lower back. The FDI World Dental Federation’s Ergonomics and Posture Guidelines emphasise the importance of ergonomic equipment and proper working practices in promoting longterm health and efficiency in dental practices. Implementing ergonomic training and choosing well-designed equipment can help to reduce these risks, improve practitioner comfort, and enhance patient care.
the importance of proper posture
A key factor in dental ergonomics is your positioning. Dental chairs should offer a full range of motion, allowing patients to be positioned without requiring the dentist to twist or bend excessively. Features like adjustable backrests, lumbar support and armrests are essential for comfort during lengthy procedures.
Maintaining a neutral posture is crucial. Ideally, patient chairs should adjust to a level where you can keep your elbows at or below shoulder height, with your wrists in a neutral position. Dental stools with adjustable height, lumbar support can further promote proper posture, reducing hip and spine strain.
A-dec’s range of dental chairs, including the A-dec 500 chair, are designed to support neutral positioning. The thin backrest allows proximity to the patient’s oral cavity, reducing

the need for awkward leaning and improving operator comfort during procedures.
What to look for in ergonomic dental equipment
Choosing the right equipment is essential for long-term health. When selecting ergonomic dental equipment, focus on features that promote natural body movement and reduce physical effort:
• Lightweight Handpieces: Handpieces designed to be lightweight and balanced help minimise wrist and hand strain, reducing fatigue over extended use.
• Flexible Delivery Systems: Adjustable delivery systems that accommodate different working positions prevent overreaching and awkward postures.
• Height-Adjustable Stools: Operator stools with customisable height and tilt ensure proper posture and weight distribution.
• Patient Chairs with Multiple Positioning Options: Chairs that recline and adjust smoothly can enhance patient comfort while allowing the dentist to maintain an optimal working posture.
• Optimised Lighting: Adjustable overhead and chair-mounted lighting reduces glare and shadows, preventing the need for practitioners to adopt strained positions to improve visibility.
A-dec’s equipment, such as the 500 Pro delivery system, offers customisable configurations to ensure instruments are within easy reach. This reduces unnecessary movement, which is vital for maintaining an ergonomic posture during treatments.
The revolutionary iChiropro is a companion for your implantology and dental surgery procedures.
Controlled via an intuitive iPad application, this smart system supports every step of your operations with fantastic precision. Designed to enhance efficiency, it offers a wide range of digital features, allowing you to select from preprogrammed procedures while receiving real-time guidance and instructions making every surgery far more streamlined.
fantastic traceability
The Bien Air iChiropro system provides full documentation and traceability, which is paperless. All data relating to a patient is stored on the iPad in a personalised file relating to any procedures and information relating to implant, fully ensuring traceability and quick accessibility. The content is also easy to export on any other platforms your surgery may use. With the data easy to record using barcode scanners on the iPad to export from popular planning software such as coDiagnostiX™.
Allowing for eight implants to be placed simultaneously, resulting in reducing handling of instruments and settings during the procedures, ensuring increased efficiency. With the iChiropro, you’re also able to use the pedal to switch from one implant to the next without the need to configure on the iPad throughout the procedure, as the speed and torque settings are instantly adjusted to adapt to your patient’s needs.
What comes with the iChiropro
• MX-i LED Micromotor: High torque brushless Micromotor, fully autoclavable with speed ranges of 100 – 40,000 rpm. With ceramic ball bearings to guarantee exceptional service life and reliability.
• CA 20:1 L Micro-Series Contra-Angle: Now featuring a new tapered head shape! To significantly improve visible of the surgical site, the 20:1 ratio handpiece includes a maximum speed of 2,000 rpm. As well as incredible optical glass technology for better visibility.
• Multifunctional Foot pedal: Wireless,
Optimising your workspace layout
An ergonomic workspace is just as important as the equipment itself. Instruments and tools should be within a 50 cm (20 inches) reach zone to avoid excessive stretching. Ambidextrous equipment arrangements ensure that all team members can work comfortably. Practical storage solutions such as pull-out trays and counters at waist height help to reduce frequent bending and twisting. The proper placement of monitors and instruments within easy reach also helps maintain a neutral posture throughout procedures. A-dec’s equipment is designed with flexibility in mind, offering solutions that can be tailored to fit various operatory layouts and working styles, further enhancing ergonomic efficiency.
Why ergonomics should be a long-term investment
Investing in ergonomic equipment may mean more research to ensure you’re investing in the best equipment to meet your needs, but it’s worth putting in this additional research at the start. Prevention of MSDs leads to fewer sick days, lower healthcare costs, and increased career longevity. An ergonomically optimised environment also enhances productivity, enabling dental professionals to focus on patient care without being distracted by discomfort.
Dental professionals can spend over 26,000 hours working with their equipment throughout their careers. Making the right choices from the beginning can have lasting positive effects on both health and professional performance.
While many manufacturers, including A-dec, prioritise ergonomics in their designs, practitioners need to select solutions that best suit their individual needs and practice setup.
To enhance workplace ergonomics and safeguard your health, consider the following actions:
1. Conduct an ergonomic audit: Identify and address areas where posture or workflow can be improved.
2. Invest in adaptable equipment: Choose tools and furniture that can be adjusted to suit individual team members.
3. Train your team: Ensure everyone is knowledgeable about maintaining proper posture and using equipment ergonomically.
4. Incorporate breaks and stretching: Regular movement reduces the strain of long procedures.
5. Keep up with technological advances: Embrace new technology that improves efficiency and reduces physical stress.
6. Review regularly: Ergonomics is an ongoing process; periodically reassess your setup to adapt to evolving needs.
Enhancing ergonomics in dental practice requires a comprehensive approach that includes proper posture, ergonomic equipment, thoughtful workspace layout, and continuous education. By investing in high-quality, ergonomically designed solutions, like those offered by A-dec, dental professionals can protect their musculoskeletal health, increase efficiency, and provide better patient care. For those seeking to explore ergonomic solutions firsthand, A-dec offers showroom appointments in Bracknell, Warrington, and Nuneaton, allowing dental teams to experience how thoughtful equipment design can make a significant difference. A-dec Territory Managers and Dealers
Your health and career longevity depend on the choices you make today—invest wisely in ergonomic dental solutions. n
about the author John Dargue, territory Manager, south West england & south Wales at a-dec.
+44 7718 786 024
John.Dargue@a-dec.com

Full control of micromotors speed and rotation variation, includes 24-month warranty and WIFI dongle.
• Disposable Irrigation Lines: Pack of 10 Irrigation llines for single-use irrigation. Incorporating insertion support and ensuring simplified handling and perfect hygiene standards.
Optional PM 1:2 Straight: 1:2 Ratio straight handpiece, with speed ranges of 200-80,000 rpm. This 1:2 straight is designed to withstand any repeated lateral pressure stress, as well as fantastic hygiene standards with the new bur guard sterile sleeves to prevent physiological liquid. Includes a 24 Month manufacturer warranty.
Our review & conclusion: If you’re looking for a completely seamless and modern guided surgery system with impressive features like paperless traceability for surgical operations, the Bien Air iChiropro is a must-consider option. Its end-to-end digital patient management experience is an excellent addition for practices aiming to maintain patient files effortlessly.

The system also benefits from regular free updates, always keeping the system up to date. A new ILP update is set to roll out soon, keeping the iChiropro aligned with the latest iOS updates on the iPad. This guarantees that users will always have access to the best possible version of the app and maximise the most out of the surgical unit. With its advanced features and commitment to digital efficiency, the Bien Air iChiropro is a valuable investment for any modern dental or surgical practice aiming for precision, convenience, and future-ready technology. n

In my opinion, National Smile Month 2025 is the perfect opportunity for dental professionals to educate patients on the intrinsic connection between diet and oral health. That’s because this year’s theme, ‘Feed Your Smile’, emphasises how dietary choices can significantly impact dental wellbeing. As dental professionals, part of our role is effectively communicating this important message to our patients, while acknowledging that every individual has different requirements to achieve the end goal of a healthy smile. We know that a balanced diet is crucial for maintaining strong teeth and healthy gums. So, this month, take the opportunity to educate your patients on the importance of incorporating a variety of fruits, vegetables, and dairy products into their daily meals. Highlight the role of hydration in preventing dry mouth and maintaining overall oral health. Suggest healthy snacks like nuts, cheese, and crunchy vegetables as alternatives to sugary treats. Remind them of that old adage – an apple a day keeps the dentist away. Explain to patients how sugar contributes to tooth decay and the importance of limiting sugary foods and drinks. Teach them how to read food labels to identify hidden sugars, which are often present in processed foods. Providing practical tips on reducing sugar intake can empower patients to make healthier choices. It’s also a good time to reinforce the basics of a good oral health routine, including brushing twice daily with
fluoride toothpaste, flossing, and using mouthwash. Highlight the importance of regular dental check-ups and cleanings to maintain optimal oral health. Providing clear, step-by-step instructions can help patients integrate these practices into their daily routines. Remind them that flossing is like the secret handshake of dental hygiene. But how do you actually communicate these messages to patients? Could your practice look to provide educational materials on how to prepare tooth friendly meals and snacks, utilising email communications, social media videos and guides that patients can take home and refer to. Cooking demonstrations can be a hit – just make sure the recipes don’t include ‘sugar-coated’ instructions!
Engaging with your community by organising educational sessions in schools to teach children about the importance of diet and oral hygiene can be incredibly powerful. Can you use your social media platforms to share tips and success stories related to the ‘Feed Your Smile’ theme? This can help spread awareness and encourage healthy habits among a broader audience. And don’t forget to smile – it’s contagious!
With the delivery of any message, not just for the National Smile Month Campaign, effective communication is crucial to ensure the message lands with your patients and community. Personalise the advice, tailoring it to your patients’ specific needs and circumstances – personalised recommendations are more likely to be

followed. Always use clear, simple language to explain complex concepts and avoid dental jargon. Visual aids are also a great way to enhance understanding and assist in the retention of information. Take time to learn about the cultural traditions, values, and communication styles of the populations you serve. This understanding can help prevent misunderstandings and build trust. Modify your communication to align with the preferences and comfort levels of the patient. For example, use interpreters or visual aids when language barriers arise, ensuring clear and respectful dialogue. Additionally, active and empathetic listening is essential. By truly listening to your patients’ concerns and questions, without judgement, you can address
their specific worries and build a stronger rapport. Encourage open communication and invite patients to share their thoughts and experiences. This can help you tailor your advice even more effectively.
Positive reinforcement is another key aspect. Praise patients for their efforts in maintaining good oral health and making positive changes. This encouragement can motivate them to continue their healthy habits and feel more confident in their ability to manage their oral health.
Incorporating humour and light-heartedness can also make the communication process more enjoyable and less intimidating for patients. A smile and a friendly demeanour can go a long way in making patients feel comfortable and valued.
Finally, continuous learning and adaptation are crucial. Stay updated on the latest communication techniques and cultural competence practices. Attend workshops, read relevant literature, and seek feedback from colleagues and patients to continuously improve your approach. By combining these strategies, you can ensure that your message is effectively communicated and well-received by your patients and community. n
about the author Lianne scott-Munden, Clinical services Lead at Denplan.

Wherever we turn these days, we seem to be faced by change, challenges, disruptions, economic turmoil and an insatiable, technology driven trajectory. Whether it be the ‘tariffpocalypse’, the good and bad of AI, or a challenging business environment, nothing stands still. Against a background of global turmoil, dentistry has plenty of its own issues: existential threats to NHS activity fuelled in part by protracted contract discussions, a lack of Government funding and workforce challenges the list goes on, making the daily provision of dental care far from simple.
are there any constants in a world of changes?
One thing that remains a constant is the close relationship between the dental profession and its suppliers. Since 1923, British Dental Industry Association (BDIA) members have worked closely with dental professionals, providing high-quality, innovative and dependable equipment and services needed, day in, day out to provide oral care to millions of patients. The dental supply chain is truly global, offering great advantages such as choice, innovation and competition, but also presenting challenges including supply chain disruptions, diverse regulation and market access complexities

In such a complex world and supply chain, the BDIA works behind the scenes to help secure an environment where its members can focus on supplying dental customers with the very best of products and services. In short, the industry’s trade body undertakes vital advocacy work to ensure that the dental industry is supported in its endeavours.
the path to enlightenment
Backing up the sale of dental products is a highly complex set of regulatory controls, which have been evolving within the EU and Great Britain for decades. Most taking an interest in their products may be vaguely familiar with the terms CE, UKCA, MDD and MDR. Thankfully for everyone we are now approaching a time of greater regulatory clarity, although the path remains steep and challenging for the time being. Hopefully the UK’s choice to take the enlightened path of recognising a number of trusted global regulatory systems as a route to its domestic market will pay off in the coming years, ensuring good access to products with minimal barriers. These changes should
benefit dentistry, and the BDIA is at the heart of influencing the Government’s regulatory reform to the advantage of all – patient, clinical provider and supplier.
a strong and innovative community Against the backdrop of a very significant global MedTech industry, the dental industry remains small but immensely important and innovative. Bound by a comprehensive Professional Code of Practice, bespoke training and a common vision to provide the profession with the best possible service, the BDIA urges all those involved in purchasing dental equipment to ‘Think Supplier, Think BDIA Member’.
responsible purchasing
Whilst the BDIA encourages the dental community to support its members through responsible purchasing, there are broader and important issues surrounding purchasing behaviours.
The BDIA Counterfeit and Substandard Instruments and Devices Initiative (CSIDI) was launched 10 years ago to address the problem of counterfeit and substandard devices within the dental sector.
Internet sales channels and the globalisation of dental manufacturing have created opportunities for unscrupulous operators to sell poor-quality, substandard or even counterfeit and illegal products. It is vital that dental professionals make the decision to purchase from reliable sources to ensure the quality and efficacy of their products.
While purchasing habits have improved and awareness campaigns have been effective, bad procurement choices are still being made. Whilst we all understand the economic pressures in modern dentistry, why risk registration and reputation by purchasing potentially counterfeit or non-compliant products and equipment? Counterfeit or nonCE marked dental medical devices bought online could fail during use, posing a risk of injury to both patient and practitioner.
Keeping patients safe
Counterfeit dental medical devices can be difficult to distinguish from genuine devices. Examples of counterfeit or non-CE marked dental medical devices bought online include portable X-ray units, handpieces and curing lights. Fortunately, keeping patients safe is simple - purchase only from reputable suppliers, such as BDIA members. That way, end users can be assured of product that meets all the necessary requirements and does not endanger the user or the patient, nor risk punitive actions from the courts or regulatory bodies.
Think supplier - Think BDIA Member! For more information about the BDIA members directory please visit https://bdia.org.uk/member-directory/ n




















I chose Eschmann, as amongst my peers, it was repeatedly recommended as being the best company for quality & reliability


Chris Pritchard, Principal Dentist











With no hidden fees, Care & Cover offers:
• Annual Validation and PSSR certification
• Annual service & software upgrade
• On-site support from our team of over 50 specifically trained engineers
• Unlimited breakdown cover
• Unlimited Eschmann parts & labour
• Technical telephone support
• Enhanced CPD User training
Experience Eschmann excellence at www.eschmann.co.uk, or call us on 01903 753322.

Call in the experts. Contact us for your FREE Care & Cover package quotation.









As a species we’re becoming increasingly exposed to distractions. There are all the obvious digital interruptions we respond to including alerts, messages, emails, alarms and phone calls. Then there is the fateful and mindless doom-scrolling, where you might go online for a specific reason and end up losing literally hours as one link leads to another with a cunning magnetism. I know someone who puts their time-wasting apps in one folder, out of sight on their phone, entitled ‘Life loss’ as a reminder to enter the folder at their peril! There is a point to understanding more about this though – some diversions are valuable; it’s just a question of knowing which ones. In his great book Feel Good Productivity , Dr Ali Abdaal states that, “By adding a side quest to your day, you create space for curiosity, exploration and playfulness – and could discover something amazing and totally unexpected along the way.” He is an advocate of introducing levity and fun to your daily work (maybe not actually while you are in surgery) and encourages us to explore side quests as a way to enrich our thinking and learning. It makes good sense, and the difference between useful diversions and time-wasting

distractions lies in three words –purpose, scope and impact. Your deviation from the task in hand is fully warranted and rubber-stamped if it is a planned, temporary detour that will enhance or improve your original task. I often think about this when I’m stumbling through something the long-winded way in any software programme (most of them in fact), knowing very well that if I take ten minutes out of my day to learn the easy, intended route by watching a tutorial, it will save me time and avoid frustration when I encounter the issue again. The danger is, of course, that
Coaches, like all good communicators, use metaphors when working with their clients. I encourage my clients and speaking audiences, in their turn, to use metaphors to describe their situation, frustrations and desires. I will sometimes let my imagination run away, making leaps into the unknown, hoping I will land on solid ground with a description that is apt. I like getting clients to imagine they were in a different place, business or job, dealing with different people and under different rules and regulations. I

once I have satisfied my need to know how to do something, what’s to stop me wandering down the cleverly constructed maze of Google’s well-planned algorithms? Several hours later…
Being curious is a lifeline. It keeps us engaged, interested and feeds our main goals. ‘What would happen if…’; ‘Why don’t we do things like this?’; ‘How does this action affect that one?’ and so on until we satisfy the interest, discover something new or just abandon our line of enquiry as a dead-end. All our ponderings and findings contribute to something bigger. Until they don’t. If you’re
will often ask them what they would have done differently in those circumstances, and why, that would have made a difference, as well as what they can learn and apply to their current position.
Over the years, dentists have been told, usually by individuals who have never had to deal with a phobic, an irreversible pulpitis or a crown that doesn’t fit, to imagine they are working in a different sector. I have lived through, in no particular order, places that have attempted to embrace influences from public health clinics, retail outlets, office professionals, boutiques, hospitals, production assembly lines, hairdressing and beauty salons, and even fast-food outlets.
Other ideas have included adopting sporting influences. So team members become likened to a striking centre forward, a basketball shooter, a quarter back, a scrum half or an ice-hockey goalkeeper (no I couldn’t grasp that one either).
There is one term that I do ask teams to consider and include when they are looking to improve the way they deal with their patients, and that
not getting something productive from your diversions, you’re probably in a rabbit hole. Curiosity and dopamine are good friends. Doom-scrolling and low mood, I suspect, are also mates.
A good quality side quest should be planned – or at least examined –before you leap in. By going off on a thoughtful tangent, you don’t know what you might discover. You might grasp the tantalising strands of a fantastic new endodontic approach to be explored and researched further. Or you might just learn how to set up your spreadsheet properly. Either way, using a side quest to feed your curiosity, learn something new, or support your main objectives in some way is something to be celebrated and pursued daily. n
About the author Dr Dhiraj Arora BDs MJDf rCs (eng) Msc (endo) pG Cert Ce owner of evo endo, with three practices (limited to endodontics) in Twickenham, Gerrard’s Cross and slough. Dhiraj is a passionate teacher and ambassador for all things endo. follow him on instagram: @drdij_evoendo

is ‘hospitality’. I think it is vital that every business observes and learns lessons from the hospitality industry.
If there has to be just one book that I would recommend to all dental teams, indeed all businesses, it is Setting the Table - The transforming power of hospitality in business by Danny Meyer. The author has started and run a variety of different types of restaurants, for the most part with great success. Not everything has gone smoothly, he admits. He shares his failures and is able to reflect on what works and what does not. He sums up his philosophy as, ‘enlightened hospitality’.
In my own career, I have emphasised the importance of touchpoints: from first impressions to follow up, and how creating memorable experiences and relationships can build loyalty beyond what treatments alone can achieve.
Here are five lessons from Meyer’s book that I believe will help any and all dental businesses to succeed:
1. It’s been said before but how you make people feel is remembered longer than the technical details service. Clinical skills are a given, your personal skills are appreciated.
2. Hire for emotional intelligence. Meyer’s 51% emotional skills versus 49% technical skills works well for non-clinical and support staff.
3. “Write a great last chapter” by ensuring that patients leave with positive final impressions and a thoughtful, personalised follow up.
4. Personalise everything, take time to understand what individuals want, why and how they want it in order to treat them as the individuals that we all like to be recognised.
5. Know, understand and constantly re-learn the difference between service (what you do) and hospitality (how you make people feel). Of course you provide appropriate treatment but hospitality comes from how much you care. I could go on – and frequently do – but if you want your patients to become your fans, your ambassadors and your sources of new patients, then how they perceive the experience of every visit, every contact is the most important element of their journey. n Setting the table. The transforming power of hospitality in business. By Danny Meyer. ISBN 978-0-06-074276-8







































BADN is committed to raising awareness of the terrible impact of domestic abuse, to supporting our members affected by domestic abuse, as well as to encouraging other employers to take action.
Mauritian-born BADN President Preetee Hylton, herself a domestic abuse survivor, launched the Association’s Domestic Abuse Policy and Handbook, produced with support from the Employers’ Initiative on Domestic Abuse (EIDA), of which BADN is a member, during her presentation at Dental Showcase in March.
“BADN has put together this manual and policy in the hope that dental practices will adopt the Policy and put its guidance into practice,” says Preetee. “Dental staff need to be aware of the signs of domestic abuse, both in their patients and in their colleagues, of the effect that domestic abuse can have, and know what to do when they spot these signs.”
Preetee’s presentation included QR codes, which enabled her presentation audience to access the policy and manual from the BADN website. These QR codes will also be available at the BADN stand at the upcoming Dentistry Show in May at the NEC and the Scottish Dental Show in June at Braehead.
BADN joined the Employers’ Initiative on Domestic Abuse (EIDA), a leading business network that supports employers to take action on domestic
abuse in January this year. EIDA works with employers to help them implement effective internal policies on domestic abuse, as well as providing awareness and signposting to up to date resources.
“BADN is proud to join EIDA,” adds Preetee. “As a survivor of domestic abuse myself, I feel very strongly about raising awareness on this subject in dentistry – both for our dental team colleagues and our patients. Imagine if every dental practice made their staff aware of the signs of domestic abuse, provided appropriate support to their staff, and told them how to seek relevant, effective help. That sort of wide-scale, societal impact requires informed action by dental practices, and by dental leaders such as BADN, supported by EIDA with their guidance and resources.
“We are proud that BADN is making a positive social impact by joining EIDA’s network.”
Susan Bright, CEO of The Employer’s Initiative on Domestic Abuse, adds:
“We are delighted to welcome BADN team to our network, particularly to expand our network deeper into the world of dentistry. The important role that employers can play in tackling domestic abuse has become even more apparent during the Covid pandemic. The commitment from employers in supporting their own employees whilst also inspiring other employers to do the same will help us to achieve our vision of every UK employer taking action on domestic abuse.”

Through awareness generation, building relationships and the sharing of best practice, BADN and EIDA are hoping to support a systematic change to the way domestic abuse is handled.
Take part in our sharps injury survey
BADN is also working with Initial Medical on an online survey regarding needlestick and other sharps injuries.
The survey, which is open to all dental nurses – both BADN members and non-members – in the UK and Ireland, covers the following topics:
• Frequency of handling needles and sharps
• Personal experiences with inoculation injuries
• Training and preparedness for managing injuries
• Workplace safety measures and improvements
The Survey closes on 31 May 2025 and is available at https://forms.office.com/e/33cadZhCAA.
BADn is moving BADN have had offices in the Business Centre building at Hillhouse for 20 years. Even though the site is an Enterprise Zone, all the tenants of the Business Centre have been evicted on short notice by the current site manager – so BADN are moving back to Fleetwood! We hope to move this month, to a building in the centre of town which has been recently renovated – just off the main street. Obviously, this will mean that, for a few days at the end of May, normal service may be a bit disrupted while we get the phones and internet set up. Our phone numbers and email addresses will remain the same, as will our website address www.badn.org.uk. Watch this space! n
About the author pam swain MBe is Chief executive of BADn

Rapport is the foundation of any strong relationship, whether with patients or colleagues. Using positive body language can significantly enhance your ability to build meaningful connections with both.
Building rapport with patients:
1. Mirroring: Subtly matching a patient’s posture or tone can create a sense of comfort and familiarity. It helps establish a connection and puts the patient at ease.
2. Personal connection: Engage with patients on a personal level by asking about their day, their family, or their hobbies. This shows that you care about them beyond their medical needs, making the experience more personable.
3. Be genuine: Authenticity is key. People can tell when you’re being sincere, and genuine interactions foster trust and rapport.
Building rapport with teams:
1. Respect: Use open body language, make eye contact, and actively listen to your colleagues. Show appreciation for their contributions to foster a positive team environment.
2. Collaboration: During team discussions, use non-verbal cues like nodding and making eye contact to show support and engagement. These small gestures can make team members feel valued and strengthen collaboration.
Understanding emotional intelligence
Emotional intelligence (EI) refers to the ability to recognise, understand, and manage our own emotions and the emotions of others. It plays a crucial role in effective communication, especially when navigating difficult conversations or building relationships.
The four key components of emotional intelligence
1. s elf-awareness: Understanding your own emotions and how they influence your communication and behaviour.
2. s elf-regulation: Managing your emotions in a healthy way, such as staying calm in stressful situations and avoiding impulsive reactions.
3. e mpathy: The ability to understand and respond to the emotions of others. Empathy helps you
connect with patients, colleagues, and clients on a deeper level.
4. s ocial skills: Effective communication, conflict resolution, and relationship management. These skills are essential for building trust and navigating professional environments. Emotional intelligence helps you remain composed in difficult situations, connect more deeply with others, and manage conflict effectively. It enhances your ability to work collaboratively and fosters trust, whether with patients, colleagues, or clients.
The three rs
The three Rs – Reflection, Reassurance, and Resolution – are powerful tools for managing patient concerns and building rapport.
1. r eflection: Reflecting a patient’s feelings shows that you understand and care about their emotions. This helps them feel heard and validated.
2. r eassurance: Offering comfort and letting patients know their concerns are valid creates a sense of safety and trust.
3. r esolution: Providing clear solutions addresses the patient’s issues and ensures they feel their problem has been resolved.
example
Here’s a how a conversation might go with a patient enquiring about an implant.
• p atient: “I’m nervous about getting an implant. I’ve heard it can be painful and expensive.”
• r eflection: “It sounds like you’re concerned about both the pain and the cost. That’s completely understandable.”
• r eassurance: “Many of our patients feel that way before treatment, but we’ll walk you through the process step-bystep and make sure you’re as comfortable as possible.”
• r esolution: “We offer flexible payment plans to make the procedure more affordable, and we’ll discuss all your options to ensure you’re comfortable moving forward.” n
About the author Lisa Bainham is president at ADAM and practice management coach at practice Management Matters.















































A-dec 500 Pro: Experience a new level of connection. Everything you’ve come to appreciate about the A-dec 500 dental chair, is now available with a new delivery. Enabled with A-dec+ and an updatable software platform, the A-dec 500 Pro delivery system supports your dental team with a new level of connection.






























The Female Dentist is spearheaded by an eclectic board of professionals, each offering unique insights and support to members across the full breadth of dentistry and business ownership.
As a Board Member, Dr Nicola Z Gore plays an invaluable role in The Female Dentist. Since qualifying in 1993, she has opened two squat practices and gained a Masters degree in Clinical Dentistry (Fixed and Removable Prosthodontics). She has also pursued a passion for teaching, having trained 25 Foundation Trainees, and co-authored “Dentistry in a Nutshell”, compiling 30 years of experience into an essential book for all dental professionals. Dr Gore sheds light on the role she and The Female Dentist network can provide to women in dentistry:
“I joined The Female Dentist as a Board Member because I know what it feels like to struggle, to doubt yourself, and to question whether you belong in this profession. From failing my first year of dental school to being told I didn’t have the manual dexterity to succeed, I fought through setbacks and proved that resilience and determination matter more than natural talent.
“Balancing dentistry with motherhood, marriage and financial hardships taught me that success is about support, mentorship and self-belief. I want to help other female dentists navigate their own challenges; to build confidence and realise their strength. No one should have to do it alone, and I’m here to make sure they don’t.
“The Female Dentist Board provides the support I wish I had earlier in my career, helping women dental
professionals navigate the challenges of our profession whilst balancing personal responsibilities. This includes clinical growth through workshops, webinars and other CPD opportunities. It’s also a platform for championing female voices and honouring our contributions to dentistry. “Having overcome many challenges, I’m passionate about mentoring female dentists through key decisions and obstacles in their careers. Some of the areas I can guide them through include:
• Early career struggles – helping students and newly qualified dentists navigate self-doubt, clinical pressures, and finding the right training pathway
• Career progression – choosing between NHS, private, hospital or academic environments, as well as deciding whether to specialise or develop enhanced skills
• Work-life balance – managing the demands of dentistry alongside motherhood, family, and personal well-being
• Overcoming setbacks – whether it’s failing exams, struggling with manual skills or lacking confidence, there is always room for growth
• Clinical and business development – supporting dentists in building their skills, adopting digital dentistry, and even starting their own practices
• Leadership and networking – encouraging women to build strong professional connections, step into leadership roles and advocate for themselves in the profession
Dentistry is a tough but rewarding career, and with the right support no woman has to go through it alone.
My main focus for the coming year is a campaign around vital pulp therapy. I think this will be the next big major development in what we do in endodontics. I feel that vital pulp therapy has been pushed to the side and, until now, has not been widely recognised as a predictable treatment. However, there is a building clinical evidence base which suggests it can be predictable in a number of different presentations. We have been discussing the treatment approach in the endodontic community for some time now, and my aim is to raise awareness of vital pulp therapy amongst GDPs and change the culture of how a vital pulp is managed. In reality, it is GDPs who treat the most endodontic cases, so extending education and awareness in these circles will enable us to have the biggest impact. This is a project that is close to my heart as it relates to my own original research in pulp biology.
On the topic of education, I am really excited to announce that the BES is hosting a series of webinars which will be released over the coming year. This is a part of our aim to increase the resources available to members, and to draw in those who are interested in endodontics and are keen to learn more. This is a really exciting initiative, and one which I hope will have a big impact on the field.
In addition to its reputation for growth and education in endodontics, the Society prides itself on supporting its members in their professional journeys. One way that it does this is through its Awards and Prizes,
presented to members of the BES for a wide range of achievements. These aim to acknowledge accomplishments, support and fund research, and recognise excellent work. Phil himself has benefitted from this, and shares his experience and the impact it has had on his career.
“I have been very lucky to be supported and encouraged by the BES since I graduated.
In 2001, I won the Vocational Training Prize which gave me the opportunity to attend a BES Regional Meeting. At this meeting, I was able to see some brilliant speakers and interact with some great people who are now friends! This set me on my path which has led me to where I am today.”
Further to the BES’s many initiatives for its members, the Society hosts two main meetings every year. These events aim to bring members together to learn, network, and spend time with friends and colleagues. They are highly anticipated events in the endodontic calendar, and are not to be missed. Phil discusses the upcoming Regional Meeting, set to be held in November.
“I am really excited about this year’s Regional Meeting, which is set to be held at The Belfry Hotel, in Birmingham. This is an excellent venue, and we expect a real community atmosphere amongst us all. We are looking forward to hearing from some great speakers at this event, who will cover a wide range of topics relating to endodontics. I hope this will be an enriching experience for all of our attendees.“
Looking to the year ahead, Phil discusses projects to come, and those already underway.
“I hope that The Female Dentist becomes a community that women want to turn to regularly. It’s a space for dentists to find guidance, mothers to feel understood, and every woman to know that she can succeed without sacrificing who she is. I want this network to empower those who doubt themselves and to be a non-judgemental, open environment where we can share our struggles and wins alike. I hope it breaks barriers and opens doors, proving that women lead, thrive and lift each other up.”

Join The female Dentist For details on membership visit thefemaledentist.co.uk/membership-benefits/n

Meet the BES Council: Dr Shalini Kanagasingam
Dr phil Tomson, President of the British Endodontic Society (BES), discusses his key aims for his presidential term, his hopes for the future of the Society, and shares his excitement for the events of the coming year


At current, within the BES Teachers’ Group, we are working to develop a set of standards for undergraduate teaching which we hope will help guide and shape dental education in the future. Additionally, over the coming year, we will be revising the BES Guide to Good Endodontic Practice, which has already been of great use to many dental professionals in the UK and around the world.
For more information about the BES, or to join, please visit the website www.britishendodonticsociety.org.uk or call 07762945847 n

“I’m the Endodontic Lead at the School of Medicine & Dentistry, University of Central Lancashire and Consultant in Endodontics at King’s College Hospital. I am also a member of the BES council, supporting our Honorary Communications Officer, Risha Patel, in promoting the BES in both its professional and public facing capacities.
“Straight after graduation, I was posted to Borneo, where I spent most of my time extracting teeth. This made me re-evaluate my reasons for becoming a dentist – I was keen to save teeth, so endodontics was a natural choice for specialisation. I enjoy the precision of the work, getting patients out of pain, and helping them to retain their teeth for as long as possible.
“I feel honoured to be part of a hardworking BES team of like-minded peers and have the opportunity to work with leaders in the specialty, who incidentally happen to be the most approachable and supportive colleagues!
“BES members certainly enjoy many benefits. Besides reduced rates at our own CPD events, we also enjoy preferential rates for ESE as well as recently established partnership links with national societies across Europe (e.g. Italy, Spain, France and Portugal). There are also a variety of BES Prizes and Research Awards which are open to members from all backgrounds and experiences. I was very pleased to win the BES Poster Prize during the 2024 Spring Scientific Meeting. “Outside of work, I very much enjoy cooking and baking with my 13-year-old daughter. Our family’s Malaysian and Persian heritage means we have a deep appreciation of how food brings us all together!” n
Plenty has been heard about the state of NHS dentistry in England, but what are things like in the other UK nations? Practice Plan Regional Support Manager and proud Welsh woman, louise anderson, explains how the land lies in her home country
There is considerable unrest among Welsh NHS dentists. Although they have been awarded a contract uplift of 6%, a conservative estimate of the increase in costs for dental practices is between 10% and 15%. This means that 6% is a real term pay decrease, leaving practices unable to plan for future expenditure.
The uplift also comes with conditions attached, which are causing a stir at the moment. The first condition is that the antimicrobial audit, last completed in 2023/24 and the results of which were used to improve the prescribing of antibiotics, must be undertaken again, and must be completed by the end of June 2025. The issue with this is that, previously, funding was available for practices to complete this audit, but now they are obliged to cover this cost in order to be able to receive the 6% uplift. Yet again, this diminishes the real terms value of the uplift.
Another issue that is causing consternation is the requirement that all practice-held waiting lists should be transferred to a dental access portal. This will go live from June 2025. Previously dental practices were able to hold their own waiting lists. This allowed practices to treat people local to the area and the dental practice. Practices are now being asked to hand those waiting lists over to a dental portal. This will create a centralised waiting list, and patients will be allocated to practices from that list. This means practices face having patients allocated from far and wide, regardless of area, and will have no control over the new patients they are being asked to take on.
However, as a Practice Plan customer told me recently, it was unlikely they would be able to utilise or support the portal as they simply don’t have the capacity for an NHS dentist to see anyone through the emergency access route.
On the bright side, there will be some additional funding available for practices using the portal. For every patient seen via this route, practices will receive £100. If they fail to attend, then the practice will receive £50. On the face of it, this sounds like easy money and a way of increasing revenue for the business. In reality that’s unlikely to be the case.
To be able to gain access to this additional funding, practices face the genuine practical problem of how to carve up their appointment book to fit in these patients. Diary planning and zoning will become supremely difficult as there will now be the need to accommodate historic patients, new patients, fluoride varnish clinics,

as well as providing health board allocated access sessions.
This will add to the punishing level of bureaucracy to which NHS contract holders find themselves subjected. Unlike the English system of payment via UDAs delivered, or the Scottish SDR, in Wales dentists are measured against a series of metrics. Practices are paid their contract value based on metrics weighted by percentage values. If all metrics are achieved, then the full contract value will be paid. In this case UDAs still represent 25% of the contract value, however there are also metrics for historic patients, new patients and urgent access patients. Fluoride varnish applications are also part of the equation. This makes life very complicated for NHS providers. On a recent visit, a practice manager told me that she spends 70% of her time managing the NHS contract for just 25% of the practice’s income. That told me only 25% of the practice’s income came from an NHS contract, which meant the majority (75%) was being achieved through fee-per-item and membership plan patients. Clearly, it was the NHS contract that was making disproportionate demands on the time of the practice manager as the practice tries to achieve its target. The system is so complicated that I have even visited practices who have
a board in the practice manager’s office labelled ‘historic patients’, ‘new patients’, ‘access patients’, ‘fluoride varnish applied’, and, as the patients come in, staff mark off a daily tally to assess whether they’re hitting their metrics. Clearly, comprehending how to break down the figures to ascertain how many of each type of patient is needed to achieve their target is extremely difficult for practices.
Another issue facing NHS contract holders is that eDen [Welsh digital NHS contract management information system] is not always up to date. Data is not real time and so cannot be relied upon to be accurate. Also, as was the case last year, dental practices do not receive their year-end reports until much later in the year. This leaves practices unaware of whether they have hit their targets or whether they will be subject to any clawback. All of which makes keeping track of things a very difficult task.
My advice to practice managers grappling with these new conditions is to first look at your contract value and break it down into the metrics and the relevant percentages. I would then suggest reviewing your patient base, and with reference to your ACORN (Assessment of Clinical Oral Risks and Needs) forms identify patients where you can extend their recall time
to create space in your appointment diary for emergency patients allocated via the portal. Diary zoning will be essential to keep track of which patients are being allocated to the metrics that you’re trying to hit during your surgery hours.
Meticulous planning will be the key to success with these new measures. Ensuring there are sufficient slots within the diary to be able to achieve the targets practices have been set is fundamental. However, to achieve this, teams may also need to prepare themselves for some difficult conversations with patients about extended recall intervals.
Practice Plan has been welcoming practices into the family since 1995, helping them to grow profitable businesses through the introduction of practice-branded membership plans. To book your NHS to private conversation, call 01691 684165 or visit practiceplan.co.uk/be-practice-plan/ n
about the author

louise anderson is a regional Support Manager with practice plan, based in South Wales. She has more than 30 years’ experience in dentistry which includes 15 years as a group manager for five dental practices.

Ahead of this year’s Dental Awards announcement, taking place on Thursday 22nd May, we caught up with 2024’s Dentist of the Year, Rachel Derby, to discuss her practice’s family feel, the importance of the patient journey, and her recent role as president of the BAPD. Watch the full interview at the-probe.co.uk/podcast
Could you share a bit about your journey into dentistry and what sparked your initial interest in the field?
I decided to go into dentistry from around the time of my GCSEs. My older sister went to dental school in the 90s and graduated in the early noughties. She told me that dentistry was great, that you earn lots of money and you only work nine to five. So, I decided I would do that for a career.
As we all know, it’s not really nine to five, especially when you’re a practice owner. And the money, when compared to the 90s, is very different to what it is now at nowadays, but I always knew I wanted to do something medical. Medicine seemed difficult and didn’t offer a great work life balance. I did look into pharmacy briefly, and even thought about law because Ally McBeal was big at the time, with the dancing baby for those who remember that.
My mother reminded me that Ally McBeal wasn’t a depiction of real life, telling me, “That’s not what you’re going to have if you become a lawyer.” So, I circled back to dentistry, did my work experience in practice, and I quite liked it. I eventually graduated from the University of Manchester in 2010. Looking back, what I’m doing now is so vastly different because the field of dentistry as a whole is progressing by leaps and bounds all the time. It’s a really exciting profession to be in and I absolutely love it.
Alongside your husband, Dr Evans, you own and operate Chapel Dental. Does the family connection play into the practice culture?
The primary reason we decided to become principals and buy a dental practice was for our family. I was pregnant, before Covid, in 2019, and I discovered I was having a little girl. I just had this urge to show her that you can have a career also be a working mother. It should never be one or the other. Even before she was born, I wanted to be that role model for her like my mother had been for me. My mother was a teacher, working five days a week, even teaching me for a year when I was seven.
The family connection my husband and I share, I think, does extend into the practice. At the end of the day, yes, I’m a dentist, but I’m a mother, too. I want my patients to see me as a human and somebody that they can relate to. Creating the perception, and having that connection with patients, it helps to build trust and rapport.
My daughter is five now and she wants to be a dentist. My practice manager, Erica, calls her the real boss when she comes in. I’ve even had her doing fillings – not on patients, of course, but on models. Over the school holidays, we had her performing an upper right six composite and, to be honest, she wasn’t bad. I think she’s got a bright future ahead if she wants it.


At Chapel Dental, there is an emphasis on the importance of the entire patient journey. How do you and your team ensure a positive experience for your patients? I always think it’s very interesting because patients cannot tell good dentistry from bad dentistry. What they care about is whether the treatment will last and whether it hurt. If you can succeed in those two aspects, in their mind, it was a good experience. People will always get a feeling about a place. Just like if you go into a restaurant, it’s the little things like whether the toilet is kept clean that give you an idea of whether you might want to eat there. If it’s not clean, then you wonder what the kitchen’s like, and no matter how much money they’ve spent on doing the place up, I don’t think I want to eat there. This is something that patients can relate to and understand, which informs the rest of our work.
Most recently, we have been thinking of ways to translate our approach to new patients to continue to impress our current patients. Because they’re the ones that come back every six months. It’s always great to have new patients but, after their initial consultation, we need to make sure that they’re being taken care of.
You also served recently as President of the British Association of Private Dentistry. How did you find that role, and which challenges that the profession is currently facing would you say are the most pressing?
It was an interesting role, and I did really enjoy my tenure. It is a fantastic organisation that arrived during Covid time. There was never a voice for private dentists, especially as the BDA made it very clear that they were there for the NHS dentists, as did the CDO.
It was the private dentists that were the backbone during Covid because the NHS couldn’t go back to work. Private dentists equally gave up their equipment to help the hospitals. They opened up and started triaging. They started seeing patient emergencies as well, and got the ball back rolling again.
What’s more, for dentistry as a whole, our relationship with the GDC is still a work in progress but I think we might be turning a corner. Let’s watch that space!
There’s quite a lot going on in the dental politic circles that, whether we like it or not, will affect us all. And people should have their say in it because if you’re not going to have your say, it’s just going to be forced on you. The GDC is constantly sending out consultations. If you’re not going to be a part of it, don’t moan about it when it’s not going your way and when you don’t like it.
If you do want to make a change, please join the BAPD. We’re always looking for new members and ideas.
How did it feel to be named Dentist of the Year? It was a wonderful surprise. I think the happiest person was my mum, my number one.


It was really very surprising, especially with the calibre of dentists that were on the shortlist. I really did not think it was going to be me. I told my daughter that I won and, as a five-year-old will, she brought me back down to earth because she gave no hoots about it. She just wanted me to play with her instead.
I was really pleased. My daughter might appreciate it when she’s older and I can always lord it over my dentist husband as well. He was pleased for me.
When looking back on your career so far, what are you most proud of, and what advice would you give to aspiring dentists?
Take it one step at a time. Get your grades, get into dental school, then work hard. Have fun, too, because it is a profession you will be in for the long haul.
I would also say what you see on Instagram is not real. Like Ally McBeal, it’s not real life. If you are a young student you’re thinking about dentistry, go and see as many types of dentistry as you can. You can go to a specialist in Harley Street, or a cosmetic dentist, and also the NHS. See the variety that’s on offer.
For the recently graduated, I would say learn to walk before you can run. Don’t pin your entire hopes on getting a system to do stuff for you, instead become world class at the basics: diagnosis, treatment, planning, removing decay, fillings, perio, endo… become world class at these, and then you can move on to the more exciting stuff safely because you know the basics.



No dentist should face the turmoil of a claim against them alone. If it happens to you, our dentolegal experts will help keep you grounded.
Join the No.1 for protection and be ready for whatever life throws at you.
s imon t hackeray shares his personal and professional insights into private practice, regulation and wellbeing in modern dentistry
Making the leap from NHS to private dentistry is a monumental shift - one that I have navigated first-hand. After acquiring a predominantly NHS practice in 1997, I transformed it into a fully private practice by 2021, growing from a single-handed operation to a five-surgery facility. Achieving this in Mansfield, a small, working-class mining town, is no small featbut through hard work, valuable lessons, and strong support, the journey has been both challenging and incredibly rewarding.
The NHS provides a safety net of security and familiarity, but transitioning to private practice requires careful planning and strategic decision-making. The first - and most critical - step is understanding your numbers. Unlike the NHS model, where prices are dictated by a sole provider, private practices are dictated to by market forces and their multiple individual patients. You will also need to invest in infrastructure, from upgrading facilities to integrating new technology and providing comprehensive training for your team. While NHS dentists aim to deliver high-quality care within a challenging framework, private practice allows for greater flexibility in how that care is delivered, from appointment length to treatment options.
Equally important is understanding your patient demographic. If you are considering the move to private practice, take time to speak with your patients about your plans. Don’t assume that because another practice has gone private, your patients will automatically follow suit. This transition may not be right for everyone, so it is vital to conduct thorough research, understand your audience, and pinpoint the opportunities that will drive your success. You must not be afraid to seek advice from others who’ve already made the transition or service providers who can offer valuable insights.
Lastly, transitioning to private practice requires a fundamental mindset shift. It’s not about simply continuing the work you did in the NHS - it’s about providing quality care that’s appropriately compensated. While you may not necessarily see immediate financial gains, you’ll gain the freedom to focus on delivering exceptional, core dentistry. It’s both a practical change and a shift in thinking, be prepared to think outside the box and embrace new opportunities.
My background includes a Master’s in Law, which has provided me with

Simon Thackeray will be taking part in a series of talks at the British Dental Conference & Dentistry Show on Friday 16th and Saturday 17th May. From ‘Mental Health in Dentistry: where are we now?’ to ‘Fitness to Practise: a case for change’ and’ Nurture new beginnings: making the transition from NHS to private dentistry’. For more information and to register for free visit birmingham.dentistryshow.co.uk


a unique perspective on the legal aspects of dentistry. Over the years, I have also had the opportunity to build a successful career as an expert witness in personal injury and clinical negligence cases, which has led me to reflect on the systems currently in placeespecially their impact on dental professionals, particularly younger dentists entering the field.
One area that could benefit from review to reflect modern practice is the Fitness to Practise process. While issues like substance abuse or alcoholism are clear reasons to assess a professional’s fitness to practise, there is a more subtle challenge - attitudinal fitness. This harder to define area can sometimes lead to uncertainty among professionals about what behaviours or decisions may come under scrutiny. For some, this uncertainty contributes to a more cautious approach, where concerns about potential repercussions may limit open discussion or reflective learning, particularly for those early in their careers.
Moreover, regulatory frameworks have not kept pace with digital and marketing changes in dentistry - an area increasingly in need of review and clarity.
Another concern is the length of time it takes for fitness to practise cases to progress, which often is considerable. The lengthy process forces practitioners into defensive dentistry, where the focus shifts from delivering the best care for the patient to protecting oneself from the regulator. A risk-adverse culture can, in some cases, limit
opportunities for innovation and growth. It’s time to address these issues and create an environment that fosters growth, patient-centred care, and professional development.
Integrity, care and managing stress
As dental professionals, it is essential to remember why we entered this profession in the first place: to care for others. Dentistry, at its core, is about human connection - a privilege we should never take lightly. While financial success and commercial growth are important, they must never overshadow the fundamental priority of patient care. Practising with integrity and humility should always be our guiding principles. Dentistry can be inherently stressful, which is why it is crucial for practitioners to maintain a healthy work-life balance and engage in activities outside of work. We often feel overwhelmed by the responsibility to solve every problem, but it is important to recognise our limits. I always advise colleagues to support and empower your patients but remember that their dental health is a shared responsibility. Prioritising your own wellbeing is just as important. n
About the author simon thackeray, President of the British Academy of Private Dentistry (BAPD) and owner of thackeray Dental Care

Do you know the abilities you and your colleagues have in the dental practice to support your patients, or even each other?
Gaining a better understanding of the capabilities, backgrounds, interests and experiences of the entire team was a common theme at BDIA Dental Showcase 2025, which drew crowds at the ExCeL London over 14-15 March.
Alongside an array of stands from the dental trade presenting new solutions for dentists, dental nurses, dental hygienists and dental therapists alike, there were high-quality talks broaching the clinical, regulatory, and interpersonal aspects of everyday dental care.
Curiosity fuelled the dental team Friday morning in the Chief Dental Officer Theatre kicked off with discussions around the evolving duties of dental therapists and dental hygienists, in light of the Human Medicines (Amendments relating to Registered Dental Hygienists, Registered Dental Therapists and Registered Pharmacy Technicians) Regulations 2024.
Delegates gained unique insights from:
• Richard Jacob, Programme Manager Dentistry and Optometry Contracting and System Oversight with NHS England
• Sarah Murray, Reader in Dental Therapy Education at Queen Mary University London
• Rhiannon Jones, President of the British Society of Dental Hygiene and Therapy (BSDHT)
• Amanda Bloomfield-Gallie, Dental Therapist and Doctoral Researcher at the University of Lincoln, for an open Q&A session

After the new responsibilities of appropriately trained dental hygienists and dental therapists were made understandable, Jones said: “I genuinely believe there is a lack of understanding of what each other [member of the dental team] does… We all train together, but there is a disconnect.”
She ruminated on the need to begin conversations amongst the team to explore each other’s clinical backgrounds, unique specialist interests, and the chances to develop their care – such as with trained dental hygienists and dental therapists administering select medications without a dentist where appropriate.
Pull in the same direction
When the Oral Health Theatre hosted Helen Minnery, Dental Hygienist and Past President of the BSDHT, delegates learnt more about a team approach to peri-implant disease. With engaging visuals of affected treatment sites and restorations – “I didn’t know implants could come off like that!” said Arooba Khan, an overseas graduate – and biofilm disruption advice grounded in the S3 guidelines, the talk truly explored its title ‘The good, the bad and the ugly!’
Minnery described the changed definitions of peri-implant mucositis, and gave advice on the tools dental hygienists and therapists can use for biofilm management and safe pocket probing, from metal scalers and probes to Waterpik™ water flossers. The latter are really effective for full mouth rehabilitation treatments, notes Minnery, as she said: “They do have their place”.
Maximising capabilities
Joycee Rebelo, Orthodontic National Group Committee Member, also took to the Oral Health Theatre and platformed the chances for orthodontic therapists to help anticipate and uncover mouth cancer.
“Usually when mouth cancer is detected, it is too late”, was the damning truth Rebelo presented – but, with appropriate training, orthodontic therapists could tackle such an issue. She argued that as orthodontic therapists see patients in routine and regular intervals, they have the chance to spot subtle changes that demand further investigation.
As clinicians develop an understanding of each other as professionals, working to the best of their abilities to deliver effective care, there is also a need to support others as individuals.
Preetee Hylton, current President of the British Association of Dental Nurses (BADN), spoke knowledgeably and compassionately about the need to raise awareness for domestic abuse. Her talk in the Oral Health Theatre discussed the responsibilities of the dental team regarding patients who may be affected by domestic abuse – including the need to record
potential signs, including dental trauma, in patient notes – as well as fellow team members. It was a call that went beyond understanding each other as professionals, but also as people, and how it could all begin with a simple: “Are you okay?”
Dental nurse Jurate Lazarevaite said after the talk: “She was a great speaker, and it was an important topic for everyone –professionals and patients.
“It’s my first time at BDIA Dental Showcase in London, and I’m really enjoying it.”
skills in the mix
Together, the dental team can achieve fantastic things. It takes a vision and direct aims to do so. Tim Newton, President of the Oral Health Foundation, knows this as well as most others. His leadership at the Oral Health Foundation took him to the Oral Health Theatre, where he laid out the charity’s strategy for 2030. He spoke about the need for a skill mixed approach, stating: “It’s about finding the right people for the right job.”
On the abilities of dental nurses, and those in his practice, Newton said: “They’re good at managing relationships, and they understand dentistry in a way that’s understandable to patients. Those are great skills.”
Without teams amplifying the abilities of such professionals, patients are at a loss – but to know these skills, one must first know their team. Dental professionals, no matter their role in the team, can register their interest for the 2026 edition of BDIA Dental Showcase. BDIA Dental showcase 13th-14th March 2026
exCeL London
Find out more at www.dentalshowcase.com n
The BACD Aesthetic Theatre was a massive success at this year’s BDIA Dental Showcase. An eclectic arrangement of speakers took to the stage to discuss a broad range of topics, share personal experiences and inspire colleagues to continue elevating their own standards in dentistry. Attendees had the chance to engage with the speakers and their peers, igniting discussion and enriching the learning opportunities for all. From a clinical perspective, the programme explored everything from digital chairside workflows to full mouth rehabilitation, orthodontics, ceramic veneers and so much more. Visitors heard about the innovative new technologies available designed to streamline various treatment processes and elevate both aesthetic and functional outcomes for patients. The FP1 approach was also covered in detail, with BACD Vice President, Dr Christopher Leech, providing practical insights into how to maximise success with these full arch implant cases.
BACD President, Dr Sam Jethwa, took attendees on a step-by-step journey through the workflow for ultra-thin ceramic veneers. The importance of minimally invasive dentistry was a theme throughout the Theatre over the two days, underscoring the ethical and conservative approach to cosmetic dentistry promoted by the BACD in all that it does. Sam emphasised
this within the context of facially-driven treatment planning and design, showcasing some exceptional cases by way of example.
Another well-attended lecture was one presented by Dr Richard Coates and Dr Neil Gerrard, both Accredited members of the BACD. They brought their highflying energy for a session entitled “Just ‘Jack-em-open’ ”, which enthusiastically discussed managing malocclusions and the temporomandibular joint (TMJ) to predictably increase the occlusal vertical dimension (OVD). After introducing the basic principles of the TMJ, the talk debated such topics as whether deprogramming cases or using the Dahl Concept offered the best results, and when dentists should intervene with tooth wear and how best to monitor it. Although clinical skill and confidence is crucial for success in cosmetic dentistry, there are other aspects that dentists in the field teams must consider. For instance, Dr Simran Bains and Dr Shivam Kotecha talked about career development with respect to building a portfolio and applying to awards that recognise skill and dedication. The underlying messages from both were encouraging dentists, especially those early in their careers, to focus on what makes them stand out in a competitive market. The need for self-reflection and investment were also touched upon, empowering professionals to take their careers into their own hands.

Of a similar tone was Dr Simon Chard’s session, which focused on mindset and building resilience in order to proactively yet sustainably achieve growth. Sharing his own very personal story, Simon encouraged peers to find a healthy balance of stress and enjoyment in their work, offering some selfdesigned acronyms to outline a framework for achieving fulfilment and happiness, body and mind. He concludes with useful guidance regarding exercise and other daily practises that anyone can incorporate within their routines to improve their mental wellness.
Malu Naik, an attendee commented on Simon’s session: “Very interesting and informative session. There were lots of incentives about practical ways to live better, with ideas nicely broken down, stepby-step. Everything was also supported with evidence.”
These were just some of the many unmissable lectures in the BACD Aesthetic
theatre at BDIA Dental Showcase 2025. Attendees took home an array of new skills and knowledge, with many also inspired to approach their career development with renewed enthusiasm and mental resilience.
The BACD team were available throughout the event for anyone looking to find out more about what joining the community could afford them. With hundreds of like-minded professionals already part of the network, the BACD champions the sharing of information and experience. There are also a plethora of membership benefits ranging from CPD events to trade discounts, global affiliations with offer cosmetic dental groups, and the exceptional BACD Annual Conference –which will this year be held in Manchester. Thank you to all the speakers and organising team members who help make the BACD Aesthetic Theatre such a success once again this year. If anyone would like to know more about the BACD, or is interested in joining, please contact us today. For further information and enquiries about the British Academy of Cosmetic Dentistry visit www.bacd.com n
About the author Dr sam Jethwa is President of the British Association of Cosmetic Dentistry.

None of us know what the future holds.
Having to take time off work because of an illness or injury can have a serious effect on your finances. This is where we come in – our income protection plans can help take away the worry by replacing the income you lose, until life gets back to normal.
For over a hundred years, our members have trusted us to give them peace of mind when they need it most. Isn’t it time you did the same?
To get a quote for an income protection plan please visit www.dentistsprovident.co.uk

To discuss a new plan just for you or review your current plan please contact our member services consultants on 020 7400 5710 or memberservices@dentistsprovident.co.uk
There are many advantages to immediate implant placement when delivering treatment for edentulous patients. Studies have shown that with the right clinical approach, there is no significant difference in survival rates between implants placed with immediate or delayed protocols.
Immediate implants may prevent disuse atrophy, and crestal bone loss may be less significant. The decreased surgical trauma of immediate placement not only benefits the patient in terms of reduced chair time, but a may also create more favourable conditions for woven bone to be transformed into lamellar bone.
However, careful patient selection is paramount. Maintaining ongoing evidencebased knowledge and understanding about the indications, contraindications and other considerations concerning immediate versus delayed placement protocols is essential when developing advanced practice.

indications
In general, patients who have experienced minimally traumatic tooth loss or extraction, without purulent exudates or cellulitis, who have adequate soft tissue and sufficient apical and palatal bone volume can be considered for immediate implant treatment. Periodontally healthy patients, with a thick gingival biotype, intact buccal bone wall, with both neighbouring teeth may additionally benefit from a low risk of aesthetic complications when treating tooth loss with immediate implants in the anterior regions.
contraindications
Taking a detailed patient history is an important precursor for any treatment. For example, if a patient’s healing capacity is compromised by health conditions like diabetes, medications such as bisphosphonates and derivatives, or if the patient is a smoker, a heavy drinker, or if they have poor oral hygiene, immediate implant treatment would not be recommended.
The presence of any active infection is generally a cause for concern, although some evidence has shown positive outcomes for immediate implants with the use of plasma rich in growth factors (PRGFs) during placement. The presence of purulent exudates at the time of extraction indicates the presence of an infection that should often be treated before proceeding with implant treatment. Likewise if there is any evidence of adjacent soft tissue cellulitis, treatment should be delayed. Immediate implant placement is also not indicated in the presence of granulation tissue. An important component in the wound healing process, the granulation
tissue matrix fills wounds where edges do not approximate. When granulation is present, most studies recommend debridement of the implant site before placement, or antibiotics to support the healing process before proceeding with implant treatment.
Ultimately, the main factor determining the success of immediate placement is primary stability. As well as the design of the implant itself, the quality of bone in the edentulous area is a key concern. For example, there is a higher association of implant failures in type C dental sockets, which are defined as having little or no bone on the septal wall, requiring the implant to engage in the edge of the socket. Immediate placement would not normally be indicated in such cases.
A buccal wall thickness of at least 2 mm is recommended to achieve optimal results when immediately placing implants. Augmentation procedures are required below this threshold, involving the use of graft materials to fill the buccal gap during placement. In addition to this, consideration should be given to other influencing factors, such as the flap versus flapless approach, socket anatomy, remaining buccal bone thickness, gingival phenotype, gap size, and implant material.
Recently studies and analyses on the efficacy of bone and soft tissue grafting techniques have shown that they can enhance immediate implant treatment. Though not always essential, are a valuable resource to prevent significant tissue reduction, reaching positive bone stability and favourable pink aesthetic and visual analogue score levels.
Eminent specialist oral surgeon Professor Cemal Ucer, along with the skilled team at ICE Postgraduate Dental Institute and Hospital, presents a unique opportunity to learn more through the Advanced Certificate in Management of Tooth Loss: Immediate Implants vs. Socket Preservation. This two-part course features evidence-based workshops and lectures covering minimally traumatic extraction techniques, socket preservation, both analogue and digital workflows, socket augmentation, and alveolar ridge preservation. With the right patient selection strategy and the right knowledge and skills, immediate implants can be a highly effective and predictable treatment option for edentulism. Employing this approach to implant treatment can significantly reduce the duration of treatment, giving patients the aesthetics and function they need in less time.
Please contact Professor Ucer at ucer@icedental.institute or Mel Hay at mel@mdic.co 01612 371842 www.ucer-clinic.dental n
Small injuries in the dentition and surrounding anatomy can, with any luck, cause minimal pain and may require a small restoration. Carious lesions, for example, could be treated with the removal of affected tissue and the application of an aesthetic composite restoration, allowing the patient to leave the dental chair after a straightforward appointment, and carry on with their day.
In many cases of tissue resorption, however, this is not the case. Patients could be at severe risk of adverse oral health outcomes. If resorbed tissue is not accounted for and treated, restorations could fail and patients may require further time in the dental chair.
It’s important to understand how resorption occurs, as well as recognise effective treatment approaches.
tooth resorption
Let’s start with a positive – not all tooth resorption is bad. In the case of deciduous teeth, physiologic tooth resorption aids in the process of the exfoliation of the primary dentition, making room for the permanent teeth to settle. However, for people who have developed their permanent teeth, tooth resorption is obviously undesirable. Damage can be caused to structural dentine and/or cementum resulting in the loss of tissue. There are a variety of aetiologies and pathogeneses that can be linked to each case. However, there are three factors that are consistent between each instance of tooth resorption: the breakdown of natural barriers in the tissues, a continuous stimulating factor, and a viable blood supply for clastic cells.ii The clastic cells are responsible for mineralised tissue resorption, but can be dangerous when uncontrolled. Internal root resorption is rare, but observed throughout the literature. It is associated with pulpal inflammation, which drives blood flow and clastic cells to the pulp chamber, causing damage from the inside out. Conservative treatment options include root canal treatment, which removes the blood supply to the clastic cells, but surgical intervention may be necessary.iv If treatment is late or ineffective, the tooth may require extraction and replacement. External root resorption occurs when the cementum layer or similar tooth tissue is damaged or removed. It tends to occur most often in people aged 21 to 30 years old, and is more common in female patients. It may begin as a result of trauma, failed periodontal surgery or pressure from adjacent unerupted teeth, or even as a result of uncontrolled orthodontic tooth movement. Treatment depends on the extent of resorption, from pain relief and the stabilisation of any mobile teeth, to removal of resorptive tissue, and potentially the need for regeneration and tissue augmentation at the treatment site.

can modify such a delicate homeostatic balance, resulting in a continuous destructive process. When patients do not adequately displace subgingival plaque, inflammatory periodontal diseases can develop, instigating such outcomes.
Another cause is an initial loss of a tooth, which then prompts bone resorption at the site. This is linked to the local bone being supported by blood in the periodontal ligament – without a tooth, resorption is expected.
Loss of bone can be significantly detrimental. It can change the appearance of the face in extreme cases, as well as reduce support for the surviving dentition. Many patients will experience bone resorption concurrently with other issues, as seen with periodontal diseases and tooth loss.
augmentation of hard tissue
Placing a restoration in resorbed tissue can be complex, including dental implants. The literature reports that 50% of all implants and almost 75% of implants in the anterior maxilla require bone augmentation to compensate for resorption as a result of tooth loss.
The choice in augmentation technique will differ dependent on the patient’s anatomy and the needs for the implant to maintain stability for long-term success. However, the literature signals positive rates of survival and success for implants in augmented bone – dental professionals must choose a predictable and effective approach to maximise this result.
The PG Diploma in Advanced Techniques in Implant Dentistry from One to One Implant Education helps clinicians develop their soft and hard tissue augmentation skills, with handson opportunities to practise a wide range of techniques. The course is completely evidence-based, and ensures clinicians can treat complex dental implant cases with confidence, from augmentation and placement to long-term management. Tooth and bone resorption will each rely on different techniques for recovery, but success can be found when clinicians have confidence in a range of treatment approaches.
To reserve your place or to find out more, please visit 121implanteducation.co.uk or call 020 7486 0000. n
about the author
Professor cemal ucer (BdS, MSc, Phd, oral Surgeon, iti Fellow).

Resorbed bone is important to control in the maxillofacial structure for positive oral health outcomes. It is a natural pattern for bone tissue to be ‘activated’ and resorbed, before being remodelled and formed into a new structure, but the presence of disease
about the author dr Fazeela Khanosborne, Principal implant and Restorative
Surgeon.


















Wesleyan Financial Services is delighted to bring you this article, with the aim of supporting the ongoing Enhanced CPD needs of dental healthcare professionals and their teams
Aims:
Retirement planning is a cornerstone of financial wellbeing, yet many dental professionals delay it until later in their careers. This article provides an overview of pension options available to dentists, including private pensions and the NHS Pension Scheme, empowering them to build a secure financial future and transition smoothly into life after hanging up the loupes.
Objectives
• The importance of early retirement planning for dentists
• Key differences between private pensions and the NHS Pension Scheme
• Tax implications, benefits, and potential drawbacks of different pension options
• How to structure a financial strategy for retirement and life after dentistry.
Learning Outcome: B
Just as a well-developed treatment plan leads to optimal patient outcomes, a structured retirement plan helps to provide financial stability and flexibility in later years. Dentists have unique career trajectories, often balancing NHS work with private practice, making pension planning particularly complex. Understanding the available pension schemes and tax considerations is crucial for a seamless transition from clinical practice to retirement—whether that includes mentoring, travel, charitable work, or pursuing new passions. The world can be your oyster with a little prior planning.
Why retirement planning is crucial for dentists
As a dentist, you may find yourself time-poor - focussing on growing your practice and managing day-today finances, postponing retirement planning for when it feels applicable to where you’re at on life’s journey. When you prioritise retirement planning early on, you allow for greater financial freedom when stepping away from the chair. A solid retirement plan, underpinned by a clear understanding of various pensions and other assets that are designed to fund your retirement, not only ensures you are comfortable but also protects against unexpected financial burdens in the future.
Dentists benefit from considering factors such as desired retirement age, lifestyle goals, and long-term financial commitments when structuring their pension contributions.
What a successful transition out of clinical dentistry looks like will vary from dentist to dentist but often involves maintaining financial independence, the ability to fund a desired lifestyle without

financial strain and exploring new opportunities beyond traditional practice. This could include roles in consultancy, education, or philanthropy, allowing for continued professional engagement in a different capacity.
Given the complexities of pensions and how they apply to a dentist’s career path and earnings, alongside tax laws which are often subject to change, seeking specialist financial guidance tailored to a career in dentistry is important.
Private pensions
Private pensions are a popular option for dentists working in some capacity in private practice or those who want to supplement their NHS pension. There are two main types: Personal Pensions (PPs), which allow more control over investments, and Workplace Pensions, where employers (including dental practice owners)
contribute a percentage of salary under auto-enrolment rules.
Private pensions offer flexibility in investment choices and the potential for higher returns, with access from age 55 (rising to 57 in 2028). However, they carry investment risks and provide less predictable income compared to defined benefit schemes. Investment performance can be affected by market fluctuations, requiring regular reviews to optimise outcomes.

If you plan to retire early an actuarial reduction in pension benefits comes in to play, accounting for the fact that pension payments will be made for a longer period than if you had waited until the normal retirement age.
Please remember: The value of investments and any income can go down as well as up and you may get back less than you invest.
The NHS Pension Scheme (NHSPS)
The NHSPS is a defined benefit pension scheme, meaning retirement benefits are based on salary and years of service rather than investment performance.
It includes three sections: the 1995 Section with a normal pension age of 60, the 2008 Section with a normal pension age of 65, and the 2015 Scheme where pension age is linked to the state pension age. All three are career average revalued earnings (CARE) schemes for practitioners.
There are other factors such as ‘protected retirement age’ that applies to certain schemes, which is why it’s important to understand your scheme benefits on an individual basis – a colleague’s plan and options for retirement may differ to your own when looking purely at the differences in scheme characteristics.
The NHSPS provides a guaranteed income for life, inflation-linked increases, and death-in-service benefits. However, it offers less flexibility compared to private pensions, with pension age increases in line with the state pension age and potential tax implications for high earners, as well as actuarial reductions for retiring early.
Brought to you by

Just as preventive care is key to long-term oral health, proactive tax planning is essential for a healthy retirement fund. Dentists must carefully manage pension contributions to maximise tax efficiency and avoid unnecessary liabilities.
The Annual Allowance, currently £60,000 per year, limits tax-relieved pension contributions but is reduced for high earners. With the abolition of the Lifetime Allowance in April 2024, previous caps on total pension savings have been removed, but new limits on tax-free lump sum withdrawals now apply.
The Lump Sum Allowance (LSA) restricts lifetime tax-free withdrawals to £268,275, though this varies based on pre-2024 pension access or Lifetime Allowance protection. Exceeding this amount incurs taxation at the individual's marginal income tax rate. The Lump Sum and Death Benefit Allowance (LSDBA) caps tax-free lump sums for death benefits, serious ill-health, or overseas pension transfers at £1,073,100, with any excess taxed as income if paid before age 75.
For dentists in private practice, pension contributions are taxdeductible, reducing taxable income and enhancing retirement savings efficiency. However, exceeding tax allowances can lead to significant charges, making careful planning essential—just like having a regular check-up to avoid bigger complications down the line. Tax treatment depends on individual circumstances and may change in the future.
Conclusion
Retirement is more than stepping away from the practice—it’s about embracing new opportunities while maintaining financial independence. Whether relying on the NHS
1. A dentist working in both private practice and the NHS wants to optimise long-term pension benefits while managing tax efficiency. What should they consider?
A. Diversifying contributions between the NHS Pension Scheme and a private pension.
B. Contributing solely to the NHS Pension Scheme due to its guaranteed benefits.
C. Pausing pension contributions to prevent exceeding tax allowances.
D. Utilising proceeds from a practice sale instead of a pension to fund retirement.
2. How does the NHS Pension Scheme differ from a defined contribution pension?
A. The NHS Pension Scheme allows members to choose their own investments.
B. The NHS Pension Scheme bases retirement benefits on income and service, rather than individual contributions and investment growth.
C. A defined contribution scheme guarantees a set retirement income regardless of market fluctuations.
D. The NHS Pension Scheme provides immediate full access to pension funds from age 55.
3. A dentist with an annual income of £180,000 is concerned about breaching the pension Annual Allowance. What strategic step could they take to mitigate this risk?
A. Pause pension contributions to avoid exceeding the Annual Allowance.
B. Utilise the carry forward rule to use unused allowances from the previous three years.
C. Withdraw pension funds and use other savings vehicles with a lower tax implication.
D. Contribute beyond the limit without regard for potential tax implications.
Pension Scheme, private pensions, or a hybrid approach, proactive planning is key. By understanding pension options, managing tax implications, and seeking expert guidance, dentists can look forward to a rewarding and well-prepared retirement.

Trycare is delighted to bring you this article by Gopinder Lalia from LUME Dental, with the aim of supporting the ongoing Enhanced CPD needs of dental healthcare professionals in improving and maintaining the oral heath of their patients
Aims:
To highlight the ideal materials and procedures required for closing unsightly interproximal spaces and a midline diastema using composite bonding veneering restorations. Objectives
• To understand different treatment options
• To identify the right treatment option for different patients
• To understand the correct sequence of clinical procedures
• To understand which materials to use
Anyone following me on Instagram will know that I specialise in aesthetic restorations and that I’m frequently asked which materials I prefer to use. I invariably respond that Tokuyama’s Asteria layering composite is my “go to” restorative material because it enables me to deliver highend aesthetic results with the minimum amount of effort. Frequently just two shades for the dentine and enamel layers are sufficient to reproduce undetectably super-natural restorations that require the minimum amount of polishing and which last and last and last!
In the following case study, I’m going to highlight Asteria’s use in an upper left lateral to upper right lateral veneering restoration to close unsightly interproximal spaces and a midline diastema.
Closing a midline diastema can be one of the most challenging situations for a Dentist, you need to make sure that the width of the centrals is even and that the midline is upright and in line with the face. Otherwise you can create a midline tilt which wrecks the balance and harmony of the whole patient’s face. It is particularly challenging if, as in this case, you don’t employ a diagnostic wax-up. In this situation it is essential to keep sitting the patient up and having a look from the front to prevent a midline cant. The importance of this cannot be overstressed.
The 23 years old, male patient was referred to me by his regular GDP because he wanted to explore options for closing the spaces between his maxillary anterior teeth. He also felt that some of his teeth were too small.



















Fig a Extraoral view of initial presentation taken prior to whitening;
Fig b Intraoral close up of initial presentation showing small laterals, spaces and midline diastema;

Fig c Extraoral view of final results showing super-natural and undetectable restorations in a harmonious smile;
Fig d Intraoral view of final results
His medical history showed him to be generally fit and well. The dental examination identified that he had smaller than normal maxillary anterior teeth with smallish spaces interproximally. Other than that, there was no other evidence of dental disease and no other treatment was indicated.
I discussed various treatment options with the patient. One option was to use clear aligner orthodontics to close the spaces followed by whitening and the use of retention to maintain the occlusion. The other option was to utilise whitening followed by layered composite bonding veneers on the four upper anterior teeth. The second option would enable us to take advantage of the spaces between the teeth to build them up to the ideal size and so enhance the patient’s smile and overall appearance.
The patient chose option two because he wanted to make his teeth look larger and it was quicker and did not require the use of longterm retention.
After whitening the teeth for two weeks at home using 10% Carbamide Peroxide (Boutique), the rubber dam was placed upper left canine to upper right canine, and secured in situ using rubber dam clamps and unwaxed dental floss around the necks of the teeth to be restored. This was to ensure complete isolation in order to maximise the adhesive’s bond strength and effectiveness. Then the incisal edges of the teeth were roughened up slightly using a coarse blue banded long tapered prep bur. A stainless steel metal strip was placed behind the four anterior teeth and in front of the canines to protect them. Next the surfaces were

air abraded using 29µm AquaCare Aluminium Oxide grit and a Dentoprep microblaster (Optident). This further cleans and prepares the enamel surface ready for etching. Then the labial surfaces of the four anterior teeth were acid etched with 37% Phosphoric Acid Etching for at least 30 seconds.
Tokuyama Universal Bond II was applied to the etched surfaces. This is a colour-coded two-bottle system which turns green after mixing so that there is a visual indication that it has been mixed properly. It is applied with a BendaBrush (Centrix) and air dried with an oil-free 3 in 1 syringe for 10 seconds. There is no need to light cure Universal Bond II before the composite is applied.
The first stage of the reconstruction was to close the diastema using Asteria Body A1B. Asteria is supplied in both syringe and individual plt doses. The later are dispensed using a Centrix SnapFit Gun. I prefer to use the plt version because it is easier to apply the composite directly onto the teeth and it avoids the mess and potential waste associated with syringe presentations. The Asteria restorations were light-cured for 10 seconds, that’s all it takes!
The next step was to build up the palatal walls of the incisal edges using Asteria Body Shade A1B. These only need to be light-cured for 10 seconds as well. A small amount of Estelite Color grey and blue was applied to the incisal edges to mimic the mamelons in the other teeth. This was light-cured for 30 seconds. Then the interproximal spaces on all four teeth were closed up using Garrison Varistrips and more Asteria Body Shade A1B, which was again light-cured for 10 seconds. It is at this point that it is essential to sit the patient up and have a good look from the front to make sure that the centrals are of equal width and that there is no midline cant.
1. Typically how many shades of Asteria are required to reproduce super-natural restorations:-
a) Two dentine shades and three enamel shades
b) Two dentine shades and one enamel shade
c) One dentine and one enamel shade
d) One dentine and two enamel shades
2. What concentration of whitening agent was used
a) 6% Hydrogen Peroxide
b) 16% Carbamide Peroxide
c) 10% Carbamide Peroxide
d) 40% Hydrogen Peroxide
3. What type of prep bur was used to roughen up the incisal edges
a) Medium red banded long tapered
b) Medium blue banded long tapered
c) Coarse red banded long tapered
d) Coarse blue banded long tapered
4. How long do you light cure Tokuyama Universal Bond II for
a) Zero seconds
b) 10 seconds
c) 20 seconds
d) 30 seconds
5. Which shade of Asteria Body was used to close the diastema
a) A1
b) A1B
c) A2
d) A2B
Then the remainder of the enamel on the labial surfaces of all four teeth was built up using Asteria WE, which is a whitish composite that was then light-cured for 10 seconds. The objective was to match the previous whitening of the other teeth.
All the restorations were initially overbuilt and then cut back using a coarse blue banded long tapered prep bur and Optidisc (Kerr) coarse and fine grit flame discs.
Graphite pencil lines were then drawn on the labial surfaces of the teeth to mark the mesial and distal line angles, in order to indicate the correct symmetry and shape of the final restorations.
Then the secondary anatomy was defined using a combination of large red banded Diatech flame discs and Enhance silicone points (Dentsply Sirona).
Finally, the restorations were given a high sheen polish using Diacomp Twist polishers (EVE).
The last two pictures show the final result. I hope you’ll agree it demonstrates a lovely harmonious appearance with closed interproximal spaces and larger teeth. The patient was certainly delighted.
In my opinion, using Tokuyama’s Asteria layering composites you can create super-natural and undetectable results with only 2 shades of composite.
Virtually all the products featured in this article, including the complete Tokuyama and EVE ranges, are available from Trycare. For further information visit www.trycare.co.uk, contact your local Trycare representative, telephone 01274 885544 or email dental@trycare.co.uk
How can principal dentists gain financial independence in our ever-changing economic climate?
Our Managing Director, Abi Greenhough, will be sharing her insights at the Hyatt Regency Manchester for Putting Profit Back into Practice, a seminar hosted by Montgomery Charles Wealth Management, on Friday 20 June from 2pm to 4pm. She will be discussing how you can maximise your exit value in any market at any time, leaving you with confidence in your legacy and retirement.
Learn whether you can retire sooner rather than later, tips on enhancing your practice’s value and how to navigate the legal issues and processes of your practice sale.

register for free today: https:// montgomerycharles.co.uk/upcomingevents/putting-profit-back-intopractice-manchester/ n
Alcohol free solutions are safer and kinder to materials. Modern advancements in active raw materials provide top level performance with almost universal compatibility.
The fast acting (60 sec) Bossklein V-WIPE ZERO formulation contains no alcohol and takes advantage of safer and greener plant-based ingredients to create a more effective product. Ideal to use on most wipeable surfaces, including those sensitive to alcohol including dental chairs. Wipes have a pleasant apple aroma.
The Bossklein Ultra material is a thicker and stronger wipe, providing a high-quality soft touch feel. Each wipe measures 175x155mm and each pack contains 160 ready to use wipes. Available in
both economic refill packs and reusable dispenser tubs.
For more information call 0800 132 373 or visit www.bossklein.com n

tokuyama dental - omnichroma composites set to continue their success in 2025!
Exclusively available from Trycare, Tokuyama Dental’s groundbreaking Omnichroma filling materials have once again received the prestigious “Top Product Awards” from the Dental Advisor trade journal at the beginning of 2025. This honor once again emphasizes the outstanding quality and innovative strength of the Japanese manufacturer. Thus, the Omnichroma family, with its 3 viscosities, continues to be at the centre of state-of-theart restorative dentistry.
Praise by the Dental Advisor’s independent reviewers included: “Omnichroma is an absolute game changer in dentistry.” Particular emphasis was placed on its outstanding colour-matching properties, which make the shade selection process redundant, its ease of use and its natural aesthetic results. In particular, Omnichroma Flow was praised as the perfect addition due to its versatility for all cavities.
A tailored oral hygiene routine optimises cleaning success, increasing compliance, comfort and effectiveness. The varying sizes of interdental spaces therefore demands an appropriate range of solutions.
The FLEXI series, from TANDEX, is an expansive array of interdental brushes, featured in 11 different sizes. Each is colourcoded; the narrowest option is Turquoise, with a 0.6 PHD and 0 ISO, whilst the widest is Ocean, with a 3.0 PHD and a 5 ISO. This gives patients a comprehensive selection to help find the right interdental brush for the right interdental space.
Also available are the Ultra Soft options, available in four different sizes, and the Lime, which has a tapered brush ideal for orthodontic patients to use around their

For more information about the complete Tokuyama range, including Omnichroma, contact your local Trycare Representative, call 01274 885544 or visit www.trycare.co.uk.n

braces. This variety ensures that all patients can find a suitable interdental brush to add to their daily oral hygiene routine. Using tailored oral hygiene products promotes a comfortable experience for patients, one that can lead to improved results and favourable long-term health outcomes. Recommend the FLEXI series today. For more information on Tandex’s range of products, visit https://tandex.dk/ Our products are also available from DHB Oral Healthcare https://dhb.co.uk/n
Planmeca will be bringing the newest product innovations to the Birmingham Dentistry Show on the 16-17 May. With next-level dental units and new additions to the Planmeca Viso family of imaging units we can’t wait to show you what we have to offer.
Planmeca introduced its first digital 3D imaging unit 20 years ago and haven’t looked back. With new products launched earlier this year at the International Dental Show across all major categories, our new generation of products expand and complement the existing range of digital dental equipment and software.

Bringing better care and ease of use to patients and dental professionals in the UK and beyond! Come along to stand J34 and experience the newest advancements in digital dentistry for yourself!
Tokuyama are the only composite manufacturer to use patented spherical filler particles within their composite materials. Each variant utilising spherical particles of different diameters to maximise their optical and physical properties for the desired indication.
Tokuyama’s development of spherical filler particles has culminated in Omnichroma, the world’s only colourless universal composite which matches every tooth colour no matter what the shade.
Omnichroma Flow Bulk is a low viscosity composite which can be placed in 3.5mm increments. Like the other Omnichroma materials it delivers unprecedented colour
matching, high polishability and stain resistance. It also has low polymerization shrinkage compared with other bulk filled composite materials.

For more information about the complete Tokuyama range, including Omnichroma Flow Bulk, contact your local Trycare Representative, call 01274 885544 or visit www.trycare.co.ukn
Working to secure infection control is as much about effective hand hygiene as it is about cleaning surfaces. Choose handwashing products you can rely on from Initial Medical.
The UltraProtect™ Hand Sanitiser is an effective solution that provides exceptional protection for up to 8 hours and kills 99.9% of germs, including Swine Flu, MRSA and Norovirus. Despite having such a powerful impact, it is alcohol-free and is dermatologically proven not to dry out or crack skin.
Choose between the Manual or Handsfree UltraProtect™ Hand Sanitiser Dispenser to support those working in your dental practice. It features an antimicrobial coating
Dr Alex Payne from Greasby Dental Centre in the Wirral reflects on the BioHorizons Camlog solutions he chooses to use in immediate cases:
“I routinely select MinerOss Putty allograft (BioHorizons Camlog) for immediate cases. The handling properties are exceptional, making placement easy. Additionally, due to its 10% collagen composition, integration is exceptional, avoiding the ‘popcorn’ effect seen with other materials.
“The CONELOG Progressive-Line implants are another highly favourable system for immediate placement. The design features that make it particularly effective include:
• Aggressive thread design for high primary stability.
• Promote® (sand blasted, acid etched)
that prevents cross contamination and is lockable and vandal-resistant.
Initial Medical provides a wide range of infection control solutions, and you can learn more by contacting the team today or visiting the website.
To find out more, get in touch at: 0808 304 7411 or visit the website today. n

surface treatment, promoting rapid osseointegration.
• Grade 4 titanium, commercially pure titanium offering predictable integration.

“CONELOG ProgressiveLine implants are especially well-suited for molar sites due to the conical connection with platform switching. One of the standout features is the availability of varying sizes, including a 5mm implant that allows for a conical connection while maintaining a less aggressive emergence profile compared to other systems.”
For product information from BioHorizons Camlog, visit https://theimplanthub.com/n
Ensuring each of your patients can experience the benefit of high-quality radiography is essential. The CS 7200 Neo Edition from Carestream Dental is designed to support all individuals, and help deliver sharp images that form the back-bones of life-changing treatment plans.
The ultra-compact imaging plate system features three plate sizes to suit each patient comfortably, covering all everyday intraoral imaging needs.
Clinicians can attain periapical, bitewing and paediatric examinations with highresolution images. The system is then designed to process the plates in as little as 8 seconds, before sending a developed result to the correct patient folder on your in-practice computer system with the “Scan
& Go” software.
The CS 7200 Neo Edition is a versatile and fast-paced system that can suit multi-user practices, fitting seamlessly into the everyday workflow.

To learn more about imaging solutions from Carestream Dental, contact the team today.
For more information on Carestream Dental visit www.carestreamdental.co.uk
For the latest news and updates, follow us on Facebook and Instagram @carestreamdental.uk n
The team at Clark Dental has 50 years of experience working for dental professionals, delivering excellent outcomes for those who want to upgrade their dental practice, or are starting from scratch.
Central to the atmosphere of any dental practice is its cabinetry, setting the tone for the patient experience and reflecting the practice’s brand. It’s important that the cabinets you choose are best suited to your vision, without compromising on hygiene and functionality. That’s why Clark Dental offers the Edarredo E.04 monocolore range – the perfect combination of style, colour, and function.
BRILLIANT EverGlow from COLTENE is an excellent universal submicron hybrid, with exceptional stability, sculptability and polishability.
BRILLIANT EverGlow has enduring lustre, and its sophisticated shade system with enhanced Duo Shades and three translucency levels means flexible use for single-shade or multi-shade layered restorations.
The perfect complement with low viscosity is also available in the form of BRILLIANT EverGlow Flow. This flowable composite is based on the same formula as BRILLIANT EverGlow, and benefits from the same incredible polish and gloss retention. With its high stability and perfect thixotropic property, it can be applied in a

controlled and easy manner.
An extra thin 0.4mm application needle now allows for even greater precision than the standard 0.8mm diameter. Visit the website to find out more!
For more on COLTENE, visit the website. email info.uk@coltene.com or call: 0800 254 5115.n
Getting children to brush their teeth everyday can be difficult. Luckily, Curaprox has a solution to encourage children to look after their teeth.
The Curaprox Kid’s Oral Health Bundle is suitable for children aged 5+, and contains a variety of oral hygiene essentials. This includes a watermelon flavoured toothpaste with 1,450ppm fluoride, a colourful toothbrush with 5,500 gentle Curen filaments for optimal effectiveness, and plaque-disclosing tablets to identify which areas need extra cleaning focus. To help transform toothbrushing into a fun activity, the bundle also has a two-minute timekeeper to improve familiarity with the recommended brushing time. Along with a chart that they can cross off after each brush, children can also read a limited-edition

Visit the website to discover the full range, and to find out how Clark Dental can support you. For more information call Clark Dental on 01268 733 146, email info@clarkdental.co.uk or visit www.clarkdental.co.ukn
book that teaches the importance of oral hygiene in a fun and informative way.

For enhanced compliance at toothbrushing time, recommend the Curaprox Kid’s Oral Health Bundle and add some colour and excitement to the daily routine.
To arrange a Practice Educational Meeting with your Curaden Development Manager please email us on sales@curaden.co.uk
For more information, please visit: www.curaprox.co.uk and www.curaden.co.uk n
Quicker than we ever thought was possible! Keep your patients in safe hands
Ted Johnston, Practice Consultant for Scotland and Ireland at Dental Elite, supported the sale of Buttercup Dental, a much-loved mixed dental practice in Glasgow, after a long and fruitless search for a suitable buyer had left the practice owners frustrated.
Dr Angela Rowlands, practice principal, explained: “To our surprise, after 8 months of inactivity with another agent, Ted introduced us to the perfect buyer within days. The whole process was completed quicker than we thought possible.
“We found the first 8 months of our efforts to be stressful and time consuming, having to do a lot of the work ourselves. The following 5 months with Ted and Lottie McBean, Sales Progression Manager at
Dental Elite, was effortless.
“Ted also introduced us to Morton Fraser MacRoberts, an excellent group of solicitors, at a Dental Elite evening seminar event. I would highly recommend attending one of these if you’re considering selling up.

“Thank you to Dental Elite. I don’t think it would have gone ahead without you.”
Contact the team to find out more today!
For more information visit www.dentalelite.co.uk, email info@dentalelite.co.uk or call: 01788 545 900n
The Eschmann Care & Cover package helps practices maximise the operational efficiency and longevity of their decontamination equipment.
With no hidden costs, Care & Cover includes:
• Annual Validation and PSSR certification
• Annual service & software upgrade
• On-site support from our team of over 50 specifically trained engineers
• Unlimited breakdown cover
• Unlimited Eschmann parts & labour
• Technical telephone support
• Enhanced CPD User training
This means there will always be someone at Eschmann to help you, no matter whether you are seeking advice on new equipment or have
a question about your existing solutions. It also means that your products will be well looked after, ensuring that they continue to function effectively for many years. Discover these and the many other benefits of Care & Cover from Eschmann today. For more information on the highly effective and affordable range of infection control products from Eschmann, please visit www.eschmann.co.uk or call 01903 753322n

When your patients need complex endodontic treatment, refer them to a team you know will continue to deliver the exceptional quality care you are known for.
At EndoCare, we pride ourselves on ensuring your patients receive nothing but the best care throughout their referred treatment.
A recent 5* patient review said:
“I had an excellent experience at EndoCare Richmond. From the moment I walked in, the staff was warm, welcoming, and professional.
Dr Adi Moran, who treated me was incredibly knowledgeable and took the time to explain everything in detail, ensuring I felt comfortable and informed throughout the procedure.
Despite my initial nerves, the care and expertise of the team made the entire process much smoother than I had expected.”
• BeautiBond Xtreme: All-in-one universal adhesive with high bond strength, suitable for all etching techniques.
• BEAUTIFIL Flow Plus-X: Versatile, fluoride-releasing hybrid composite in 2 viscosities, perfect for Class I-V restorations.
Keep your patients in safe hands when they require referral for advanced endodontics. Work with EndoCare.
For further information about the endodontic referral services available from EndoCare, please call 020 7224 0999 or visit www.endocare.co.ukn

• Super-Snap X-Treme Polishers: Achieve a flawless finish with our enhanced polishing disks for ultimate patient comfort.n

Manage your practice simply with R4+, a Sensei product, from Sensei, the practice and patient management brand of Carestream Dental.
It’s the easy-to-use, all-in-one source to manage everything from schedules, to finances and patient communication. The R4+ appointment calendar is designed to be clear and straightforward to arrange, ensuring your team can focus their energy on their patients. R4+ even takes the complexity out of patient records. Now, you can find appointment bookings, medical tracking, clinical treatments, communications and finances for a patient in a matter of clicks.
Plus, with the SMS messaging system with R4+, patients feel more included with every step. As well as an appointment booking
With an ergonomic and soft-bristled toothbrush, patients can complete their daily oral hygiene routine in comfort.
The CS 5460 from Curaprox is a vibrant solution for those in need of a superior toothbrush, taking its name from the number of densely packed Curen filaments it has. By utilising these highly effective bristles, patients can remove plaque with ease and enjoy a gentle feel on their teeth, reducing discomfort. Likewise, the toothbrush’s octagonal handle prevents over-gripping and also ensures users are holding it at the correct angle to brush with.
Available in 12 different handle colours, patients can match these with a trio of brush head options. From a vibrant mix of bright

prompt, or recall reminder, patients can reply to each text. These messages are then included in the appointment diary and the team can react when necessary. Choose simplicity with R4+. Contact the Sensei team at Carestream Dental to learn more.
For more information on Sensei Cloud visit https://gosensei.co.uk/
For the latest news and updates, follow us on Facebook and Instagram @carestreamdental.uk n

shades to a singular colour for all, having a personalised toothbrush adds flair to the daily oral hygiene routine, empowering patients to look after their teeth. With the CS 5460 from Curaprox, patients can keep their teeth polished with style.
Recommend today.
To arrange a Practice Educational Meeting with your Curaden Development Manager please email us on sales@curaden.co.uk For information, visit: www.curaprox.co.uk and www.curaden.co.uk n
No matter the types of treatment you provide, high-quality imaging equipment is important to ensure you can form an accurate diagnosis and plan. The experienced team at Clark Dental are able to help, by finding the best systems suitable for your practice.
The MyRay Hyperion X5, for example, is a compact and complete solution that is userfriendly and offers excellent image quality. By adopting the Hyperion X5, you can boost the potential of your practice. Its 2D and 3D imaging functionality gives you an accurate overview of every patient.
For some practices, the MyRay Hyperion X9, is the ideal solution. It’s a modular and scalable system that can be modified to meet your needs. Its offering ranges from basic 2D
and 3D capabilities to SuperHD functionality, depending on your requirements. Plus, for practices with limited space, the Hyperion X9 is compact and feature rich.

Get in touch with the team at Clark Dental today, who will be happy to help find the best solution or you.
For more information call Clark Dental on 01268 733 146, email info@clarkdental.co.uk or visit www.clarkdental.co.ukn
When Diljit Morris was looking for a new dental tenant, Dental Elite provided her with excellent guidance to ensure she found a great occupant, who fully fit the bill to meet her needs.
Diljit said of her experience in a recent review:
“I had the pleasure of being looked after by Julie Randle, Senior Practice Consultant at Dental Elite. Right from the word go, Julie was there supporting me, advising of the solutions available to achieve the best possible outcome. She ensured I secured a fantastic dental tenant.
“Julie has an impressive breadth of knowledge, and I admire the hard work and
Alveolar ridge preservation (ARP) is an essential skill for the advanced dentist, and many techniques exist to minimise the loss of bone following the extraction of a tooth. Eminent specialist oral surgeon, Professor Cemal Ucer, is offering a comprehensive course that is a must for any experienced dentist wishing to expand their skillset around minimally traumatic extraction, socket preservation and understanding the correct protocols for placing immediate implants.
This advanced 30-hour certificate –Management of Tooth Loss: Immediate Implants vs Socket Preservation – consists of nine preparatory webinars and two faceto-face development workshops at the ICE Postgraduate Dental Institute and Hospital, in association with the University of Salford.
The Clear Aligners Level 2 Course from the IAS Academy picks up the orthodontic journey from its predecessor, this time with a focus on tackling more complex cases.
Led by Dr Josh Rowley, whose interests concern cutting-edge digital techniques and smile design, the course provides 7 hours of CPD. Bookended by an introduction to advanced aligner treatments and troubleshooting cases is a bustling day of treatment planning, interproximal reduction (IPR) using different techniques and fixed and removable retention – among much more. This step-by-step progression with clear aligner cases is an unmissable way of evolving the treatment practitioners can offer and

commitment she demonstrated in finding the perfect candidate for me. Julie is a real credit to Dental Elite and it’s been an absolute pleasure working with her. Thank you, I appreciate everything that you have done.”
To find out how Dental Elite can help you, call the team today!
For more information on Dental Elite visit www.dentalelite.co.uk, email: info@dentalelite.co.uk or call 01788 545 900n

By the end of this comprehensive course, delegates will have an excellent understanding of the evidence supporting alveolar ridge preservation in the management of tooth loss, as well as the critical steps leading to a predictable treatment outcome.
Find out more by contacting the team today.
Contact Professor Ucer at ucer@icedental. institute or Mel Hay at mel@mdic.co 01612 371842 www.ucer-clinic.dentaln
In any profession it is essential that there is a reliable network to support, train and educate individuals, taking their skills and knowledge to the next level.
For women dental practitioners looking to connect with experienced and likeminded professionals. This new and exciting community is designed specifically for women in dentistry, empowering clinicians to face the unique challenges of a demanding and fast-paced dental profession, together.
Born from a passionate desire for an inspiring network, The Female Dentist provides its members with a variety of helpful resources. These include development workshops, assistance with marketing and recruitment strategies,
expert advice on financial planning, and HR support.

Led by a board of eminent dental professionals, this is a ground-breaking network that hopes to sculpt new leaders in the dental community.
Learn more about The Female Dentist and the available membership options today, and become part of a safe and uplifting community.
For details on The Female Dentist visit https://thefemaledentist.co.uk/about-us/ or email: info@thefemaledentist.co.uk n
includes access to an IAS mentor – an invaluable help for case selection and longterm support and guidance.
Whether using Invisalign, IAS ClearSmile Aligners, ClearCorrect or any other system, the Clear Aligners Level 2 Course is an essential gateway to delivering excellent treatment that meets and exceeds a patient’s expectations.

For more information on upcoming IAS Academy training courses, please visit www. iasortho.com or call 01932 336470 (Press 1)n
National Smile Month is a time for dental professionals to reflect on their patients’ needs, and support and educate them about maintaining their oral health –helping them love their smile.
For some, dental pain might be a hurdle. As such, offering patients reliable advice about managing dental pain at home whilst they await their emergency appointment is invaluable.
Recommend that patients use Orajel Dental Gel for rapid pain relief. The solution contains 10% benzocaine, enabling patients to apply local anaesthetic directly to the affected area. Or, for more severe pain, recommend Orajel Extra Strength (20% benzocaine), or Orajel Mouth Gel (10% benzocaine) for
patients with mouth ulcers or denture pain. Dental pain management is a serious concern for many patients, offer them the relief they need. Find out more about Orajel by visiting the website.
For more information, and to see the full range of Orajel products, please visit http://www.orajelhcp.co.uk/ n

You and your patients can enjoy highquality and fast restorative workflows with the innovative new SprintRay Ceramic Crown resin.
Allowing you to 3D print definitive crowns in as little as 10 minutes, efficiency is brought to the fore for a total treatment time of 45 minutes or less. This means patients’ smiles are restored quicker and more appointments can be completed in a day, with absolutely no compromise in restorative strength, durability or aesthetics.
The innovative crown material is a hybrid nanoceramic consisting of 51% ceramic to deliver exceptional strength. With

excellent margin fit first time, the SprintRay Ceramic Crown is already becoming a fast favourite for clinicians worldwide. Find out more today. For more information, please visit https://sprintray.com/en-uk/n
Eliminating harmful bacteria in the oral cavity ensures the continual good health of a patient’s teeth and gingivae, reducing the threat of caries and periodontitis.
For an antibacterial boost to the daily oral hygiene routine, recommend PREVENT Gel from TANDEX. Containing 0.12% chlorhexidine, the gold-standard for oral disinfection, it removes harmful microbes with ease. The gel also features 900ppm of fluoride to remineralise the enamel, strengthening the teeth and better shielding patients from caries.
PREVENT Gel is best applied to an interdental brush, such as one from the FLEXI range, from TANDEX. Available in 11 different sizes and colours, they massage and protect the gingivae, whilst the non-

abrasive and pleasant tasting qualities of the gel ensure an all-round comfortable experience, increasing compliancy for longlasting results.
Keep the oral health of your patients in optimal condition by recommending TANDEX products today.
For more information on Tandex’s range of products, visit https://tandex.dk/ Our products are also available from DHB Oral Healthcare https://dhb.co.uk/ n
Maximise on all the benefits of modernday 3D printing by working with a proven solution like the Midas 3D printer from SprintRay.
Midas is the world’s first digital restoration press, using innovative technology to overcome the challenges of previous 3D printing generations. It offers highly efficient and predictable processes, is easy to use, delivers high accuracy and is unique in that it uses low viscosity resins for expanded material options. Crowns can be printed in just 10 minutes, with a total treatment time of only 45 minutes or less!
Midas also comes to you from the only provider of a comprehensive ecosystem of digital solutions – SprintRay.
Home therapy empowers patients to take control of their health. For patients suffering from a temporomandibular disorder (TMD), a reliable and easy solution is needed.
The OraStretch® Press Jaw Rehab System from Total TMJ is a hand-operated device that patients can use as directed by a healthcare professional. Used to stretch the orofacial tissues and mobilise the TMJ, the system treats dysfunction, pain and swelling. Rehabilitating the TMJ can be achieved by following one of the several daily treatment options, with some requiring three sessions a day and others up to seven. The lightweight design makes it easy to pack the system, ensuring the home therapy can be continued when the patient is travelling.
Shade taking is pivotal for the desired aesthetic of an implant. To help dental nurses with this process, Kash Qureshi, a clinical dental technician based at the Swissedent Denture Clinic, London, will be presenting a talk, entitled “50 Shades of White”, at the ADI Team Congress 2025. Kash shares some details: “The talk will look at shades during restorations, with a focus on taking shades, including for edentulous patients, and communicating colour to mimic what’s in the mouth. It is vital that the lab team get the correct shade match – the more information they have to utilise, the more likely the implant will meet the patient’s aesthetic expectations.
“I hope the talk will open a new doorway for dental nurses in particular; learning shade taking builds up value in the dental team and ensures
The world-class facilities at the Centre for Oral, Maxillofacial & Dental Implant Reconstructive Surgery are open to all referral cases.
The clinic is led by renowned specialist oral surgeon, Professor Cemal Ucer, Honorary Professor in Dental Implantology and postgraduate dental studies at University of Salford, and the clinical team has vast collective experience in reconstructive oral surgery and implant rehabilitation.
If they need it, your patients benefit from hospital facilities, including a fully equipped daycare operating and recovery suite. The clinic also has cutting edge 3D digital tools, like diagnostic CBCT imaging, optical intraoral scanning, 3D printing and CEREC ceramic milling technology, assessment
that process can be done quickly and effectively. I hope attendees gain a better understanding of colour and that new skills are picked up.

The ADI Team Congress 2025 is an excellent opportunity for the whole dental team to come together and grow our understanding of implant treatments.”
ADI Team Congress 2025 1-3 May, The Brighton Centre BOOK NOW www.adi.org.uk/events/adi_congresses
For more information about the ADI, visit www.adi.org.uk
Join today n
This ensures you have access to all the equipment, resins and support you need to make 3D printing a massive success for your practice. Now is the time to invest in your practice’s future. Can you afford not to find out more about Midas?

For more information, please visit: https://sprintray.com/en-uk/n n

With the OraStretch® Press Jaw Rehab System, patients can recover from the comfort of home with an effective and userfriendly solution.
For more details about Total TMJ and the products available, please visit: https://totaltmj.co.uk/products/orastretch/n
adi.org.uk

and virtual treatment planning software and computer-guided implant equipment. The centre additionally offers the considerable skills and experience of an in-house master technician.
When your patients need access to advanced treatment, refer them to the Centre for Oral, Maxillofacial & Dental Implant Reconstructive Surgery.
Contact the team to find out more!
Please contact Professor Ucer at: ucer@icedental.institute or Mel Hay at: mel@mdic.co 01612 371842 www.ucer-clinic.dentaln
Professor Andrew Kingsnorth, Director at Hernia International, spoke about how the Little Sister SES 3000B Vacuum Autoclave and his experience with the Eschmann team will support essential charity work in Liberia:
“The Little Sister Autoclave is key to our work. The support from the Eschmann team has been absolutely fantastic. Andy Hill (Regional Commercial Manager) always responds to any queries quickly and will pass us through to another member of the team if required.
“Another member of the team, Paul Godfrey (Senior Field Technical Support Engineer), came to our UK office with the autoclave so I could sterilise mesh prior to distribution. He gave me a two-hour tutorial, before signing me off as a qualified autoclave user.
“They’ve been a really good team to work with.”
A consistent oral hygiene routine should be familiar and comfortable, ensuring that it becomes an almost subconscious daily task. This consistency will yield optimal outcomes by reducing the risk of oral disease.
For a personalised approach, consider the CPS range of interdental brushes from Curaprox. Featuring unsurpassed durability across the five available sizes, each brush utilises an easy and eco-friendly click system. This means that the patient’s favourite interdental brush holders can be used for maximum satisfaction whilst only replacing the tip helps reduce plastic waste. Each CPS interdental brush has ultrafine bristles that perform an umbrella movement when fitted into narrow interdental spaces. The high-quality design means that a simple
The Little Sister SES 3000B Vacuum Autoclave is a leading solution with a 17-litre chamber and the ability to run both ‘B’ and ‘N’ cycles. Eschmann pride themselves on expert support with high-quality healthcare solutions, and always welcomes clinicians looking to develop their everyday workflows.

Please visit the website or call 01903 753322. Hernia International provide support for clinicians wanting to volunteer their expertise across the world, visit www.herniainternational.org.uk to learn more n
once-in-onceout movement is sufficient to remove trapped particles, combatting caries and gingival disease.

Promote a tailored oral hygiene routine by recommending Curaprox products such as the CPS interdental brush range to your patients today.
To arrange a Practice Educational Meeting with your Curaden Development Manager please email us on sales@curaden.co.uk
For more information, visit www.curaprox.co.uk and www.curaden.co.ukn
simon cosgrove, Dental Regional Manager at Wesleyan Financial Services, shares insights on how to develop a secure retirement plan

How much is enough to retire on? It’s one of the most common questions that I’ve been asked by dentists over the years. Like many financial questions, the answer is ‘it depends’… During their working lives, people settle into their own standard of living, usually based on their level of income. Having said that, although you may earn the same as someone else, it doesn’t necessarily mean that you share the same standard of living. When you retire, your income will almost certainly reduce, and it can be difficult to make the required adjustment to expenditure. A number of items of expenditure may cease, such as professional fees, but others may increase, such as holidays.
Everyone has two types of expenditure, whether they are working or retired: essential and non-essential. Essential expenditure includes food and household bills, for example, and can be extremely difficult, or impossible, to reduce. Therefore, this expenditure is going to be a constant throughout retirement. Non-essential expenditure tends to be lifestyle choices, such as holidays and eating out. It’s important to remember that what one person considers essential is not necessarily the same for someone else. A gym membership tends to be a good example of this.
Once you know your planned level of expenditure, there are several variables that muddy the retirement planning waters. The first being, how long are you going to be retired for?
According to the decadal Census, last carried out by the Office for National Statistics in 2021, the average life expectancy for a 60-year-old is 84 for men and 87 for women. This means that if you retire at 60, there’s a 50% chance you could be retired for 24 years if you’re a man or 27 years if you’re a woman. It’s important to note that these figures are averages; individual life expectancy can vary based on health, lifestyle, and other factors.
The next variable is inflation. Let’s take someone who retired 25 years ago, in May 2000, and they needed a monthly net income of £3,000. To support that level of expenditure in 2025, that same person would need their retirement income to have grown to £6,946 per month, due to inflation. Building inflation into an effective retirement plan is, therefore, essential and often forgotten.
Of course, the early years of retirement are likely to be more active than the later years, so it could be argued that a higher income is more important in your 60s than in your 80s, and that’s why it’s important to focus on planning your whole retirement and not just the first few years.
The Pensions and Lifetime Savings Association has created the ‘Retirement Living Standards’ report to help you estimate how much money you’ll need in retirement. It outlines three levels of retirement lifestyles: minimum, moderate, and comfortable. These give a clear idea of what kind of lifestyle you can expect at different income levels.
A minimum lifestyle covers basic needs like food, housing, and bills. A moderate
lifestyle allows for a few extras, such as dining out and short holidays. A comfortable lifestyle provides more financial freedom, including regular holidays and the ability to replace your car every few years.
For a single person, the estimated annual costs are £14,400 for a minimum lifestyle, £31,300 for moderate, and £43,100 for comfortable. For a couple, the figures are £22,400, £43,100, and £59,000, respectively.
These amounts cover regular day-to-day expenses but don’t include extra costs like care or taxes, which should be factored into your overall retirement plan.
When considering retirement income, the NHS Pension Scheme (NHSPS), from which many dentists will receive retirement benefits, provides a guaranteed income for life that automatically increases by the Consumer Price Index each year in payment, so providing protection against inflation. However, the increasing prevalence of private dentistry over the years means that many dentists will find that the NHS Pension is providing a smaller and smaller part of their retirement income, therefore potentially reducing the inflation proofing of their retirement plans.
Personal pensions are commonly used to supplement the NHSPS by dentists, and they always used to provide a lump sum and an annuity (a regular, guaranteed income when you retire, for the rest of your life).
However, since pension freedoms were introduced in 2015, there are now more options in how you can access these pensions. Annuities and lump sums are
still available, and remain the right solution for many people. However, the ability to access flexible amounts of pension funds over the course of a retirement can be advantageous in the right circumstances. As ever, the best course of action is to take professional advice, including cash flow modelling your retirement, to ensure that you’re not caught short during the longest holiday of your life. n
speak to a specialist
Speak to a dental Specialist Financial Adviser at Wesleyan Financial Services to start safeguarding your retirement. Visit wesleyan. co.uk/dental or call 0808 149 9416. Please note: Charges may apply. You will not be charged until you have agreed to the services you require and the associated costs. Learn more at www.wesleyan.co.uk/charges.
Wesleyan
about the author simon cosgrove is a Dental Regional Manager at Wesleyan financial services, guiding a team of Dental specialist financial advisers to support dentists, their families, and their practices with financial planning to secure their financial future.


Twenty years! It is a milestone that speaks volumes about resilience, adaptability and unwavering commitment. At Performance Finance, we are incredibly proud to be celebrating two decades of helping individuals and businesses navigate the often-complex world of finance.
From our humble beginnings to where we stand today, it has been an incredible journey fuelled by passion, innovation and most importantly, the trust our clients have placed in us.
Stuart Burn is the Managing Director of Performance Finance. By the time he opened the company in 2005, Stuart had already been already a known force in financial services for many years, specialising in funding for the optical, dental and veterinary markets.
The company was originally run from Stuart’s home office in Cranford, Northamptonshire with one other member of staff, Emma Carter, who is still with the business today.
After 3 years of operating the company from home, Stuart and his then small team moved into a larger office in Kettering.
Performance Finance was thriving. The team grew even more, and, in 2012, Stuart made the decision to start lending funds directly, in addition to broking.
The direct lending facility, dedicated to specific markets, enabled clients to access a wider offering of tailored financial products, including interest free, low start and longer-term funding.
The facility has grown significantly and continued to support professionals throughout their careers, from opening their first practice, investing in new equipment and technology, right through to partner buy ins, acquisitions as well as tax funding.

Performance Finance has continued to thrive, acquiring additional businesses along the way and growing a very loyal client base.
In 2015, Performance Professions was launched, specialising in providing comprehensive financial solutions tailored to the unique needs of solicitors and other business professionals.
Our expertise spans a wide spectrum, from facilitating Tax and VAT payments to managing Professional Indemnity Insurance premiums, supporting Mergers and Acquisitions and much more.
stuart burn reflects on the past 20 years:
“Looking back, it is amazing to see how much the financial landscape has changed. We have weathered economic storms, embraced technological advancements, and consistently adapted our strategies to ensure we are providing the best possible service.
“I am particularly proud of how we coped with Covid in 2020. The PF team were simply outstanding, and we were able to provide enormous levels of support for those who required it.

“We have not just kept up with the times; we have often been ahead of the curve, anticipating market trends and developing innovative solutions to meet the evolving needs of our clients.
“Our success is not just about numbers and market analysis, it is about the people. Our dedicated team has been the backbone of our company, and over 50% of our staff have worked with us for over 10 years. Their expertise, combined with a genuine desire to help our clients achieve their financial goals, is what truly sets us apart.
“We are more than just a finance company, we are a close-knit family committed to building long-term relationships based on transparency, integrity and mutual respect.”
Since 2005, we’ve have had the pleasure of
• Working with over 10,000 professionals across the UK.
• Lending over £740m to businesses and individuals, £260m from our direct lending facility.
• Activated over 22,000 finance agreements.
• Attended over 100 trade events and exhibitions.
• Receiving over 800 reviews on Trust Pilot with a 5-star excellent rating.

• Obtaining Cyber Security and Carbon Neutral certifications.
This anniversary is not just a celebration of our past, it is an opportunity to look towards the future.
We want to express our sincere gratitude to our clients, industry suppliers and our team for their unwavering support. It is because of you that we have reached this incredible milestone.
Here’s to the next chapter!
about Performance finance Limited
Performance Finance is a leading provider of financial solutions for professionals. Offering exceptional value on equipment finance, asset finance, business, and personal loans.
Fast and easy credit approvals, eco-friendly digital documentation, and no hidden charges.
An impressive 5-star “excellent” rating on Trust Pilot validates Performance Finance’s commitment to customer excellence.
Performance Finance continues to demonstrate a commitment to cyber security and environmental sustainability by renewing cyber essentials and carbonneutral certifications annually.
Authorised and regulated by the Financial Conduct Authority (FCA). n
Practice accounts – the first thing most people want to see when assessing a dental practice they are thinking about buying. Yes, accounts offer a snapshot of the practice’s performance, but here’s why you shouldn’t rely solely on accounts:
accounts show outdated information
Practice accounts are a formal document showing verified income and costings for the practice over a 12-month period. They give a summarised view of the general practice costs, which will typically be used for a practice valuation. However, they won’t tell you current wage, pension and NI costs, give details of current clinicians and their respective costs, or show as up to date income as the owner can provide. Typically, buyers review the last three years’ accounts. Within these, turnover in the accounts may include an unusual period of time for the practice; perhaps there was NHS underperformance due to an associate being off ill or on maternity leave. Alternatively, a key associate may have since joined the practice and turnover has increased. Instead of the accounts, income for the most recent 12-month period should be reviewed, to show how the practice is currently performing. If there is an NHS contract, the full value of this should also be included, as this is what you will take over.
Accounts cannot give you a breakdown of all current staff costs. Whilst the wage costs in the last set of accounts reflect that period, as a buyer you will take over all staff on their current pay and terms. Therefore, you need to know who is there now and the cost of this. Staff changes themselves can of course impact wage costs, however there are also minimum wage increases and
new National Insurance costs (as of April 2025) to factor in, which are unlikely to be reflected in the last set of accounts. In addition, any family members paid through the accounts for tax reasons should be removed.
accounts include non-practice related costs
It is completely normal for accounts to include costs that are not continued practice running costs. These could be one-off costs: for example a new roof, or kitting out a new surgery. There may also be costs personal to the owner, such as their personal indemnity insurance or training costs. These items are usually embedded within accounting lines and are not obvious to separate when reviewing a set of accounts. Remember, legal accounting adjustments can distort the real practice profit, therefore practice accounts should be analysed further and normalised where applicable.
On the other hand, costs such as rent may have increased since the last accounting period, and current costs should be used in your calculations.
As a buyer, you should consider liaising with advisors who know how to dissect accounts, can liaise with the owner’s accountant to ensure that any non-recurrent or non-practice costs are removed, and that all current standard costs are included.
accounts reflect only the current model Every practice and principal work differently. This is where valuation models are required, so that you can see how the practice would work under the most common buying models – fully associate or fully principal led. Many owners choose to work part time as they move towards retirement, and this is reflected in the practice

profit whilst they are paying associates to generate more of the income. Similarly, some owners may choose to keep the practice after retirement and the practice may not make much, or any, profit under an associate led model. On the other hand, some principals may be generating extremely high levels of gross fees, which a new owner would be unlikely to match. All of these instances will impact the profit shown within the practice accounts and need to be adjusted for before you determine if the practice will work for you or not.
Ideally, you will have either a sales prospectus or valuation showing the projected profit for the practice under an associate led and/or full-time principal led model. Should you be looking to work part time in the practice yourself, you can then work backwards from this, alongside your dental specialist accountant, to determine what your personal profit would be.
In summary, practice accounts are a useful tool for valuers and buyers alike to see an overview of a practice but should not be solely relied upon when buying a business. Where possible, we would always recommend instructing a buyer’s assessment from a practice valuer to ensure that you have all of the right information before deciding whether a practice is right for you. n
about the author samantha Hodgson is a finance broker and practice valuer at PfM Dental.
Establishing a strong professional presence is essential for success, and LinkedIn has become the ultimate platform for dentists looking to expand their network. It has become a major tool in terms of networking, thought leadership, and career development.
boost your visibility
LinkedIn serves as a powerful tool to showcase your skills, experience, and thought leadership. A well-optimised profile with a professional photo, compelling bio, and key dental industry keywords can help you appear in searches by potential patients.
At Connect My Marketing, we advise you to stay active by regularly posting valuable content to engage your audience. You should share case studies, educational articles, dental tips, and patient success stories that can help position you as a trusted expert in your field. Additionally, engaging with posts from other dentists by liking, commenting, and sharing can increase your reach and strengthen your visibility within the industry.
build business relationships
Beyond growing your online presence, LinkedIn is an excellent platform for networking and building business relationships. Whether you’re a dentist, dental hygienist, practice manager, or dental lab technician, connecting
Joy Van Der splinter, social Media Manager at connect My Marketing. samantha Hodgson from PFM
with like-minded professionals can open doors to new opportunities.
Joining LinkedIn groups related to dentistry allows you to participate in discussions, exchange knowledge, and stay updated on industry trends. Engaging in conversations about emerging dental technologies, patient care best practices, or business strategies can help establish you as a thought leader in the field.
Additionally, LinkedIn makes it easy to connect with potential business partners and referral sources. By building a strong network of trusted connections, you create opportunities for collaboration, mentorship, and business growth.
A strong LinkedIn presence will allow you to showcase your credibility through endorsements, recommendations, and testimonials. Requesting recommendations and positive reviews from colleagues and satisfied patients can serve as social proof of your expertise and professionalism. Posting insightful educational content will not only strengthen your reputation but also foster trust with potential patients and business connections. Whether it’s sharing posts on the latest advancements in cosmetic dentistry or tips for better oral health, valuable content fosters trust with both patients and dental industry professionals.

LinkedIn is a thriving professional network where dentists can learn, share, and grow together. Following key industry influencers, engaging with other professionals, and attending webinars can expand your knowledge and keep you ahead of industry developments. Additionally, LinkedIn’s algorithm rewards engagement, meaning the more you interact with others, the more visible you become. This creates a cycle of continuous growth, helping you to gain more exposure and attract new opportunities.
Are you looking to expand your dental team? Perhaps you’re interested in a new career opportunity? We can suggest checking out LinkedIn’s recruitment resource. Employers and recruiters actively use LinkedIn to find qualified dental personnel, making it crucial to keep your profile updated and engaging.

Sharing posts about job openings, workplace culture, and employee success stories can attract the right candidates looking for opportunities in the dental field.
aligning with social media trends
Social media trends in 2025 emphasise authenticity, professional branding, and interactive engagement—areas where LinkedIn excels - making it ideal for dentists looking to expand their network meaningfully. With AI-driven features enhancing content personalisation and targeted advertising, LinkedIn now makes it easier than ever for you to connect with the right audience. Tools like interactive polls and personalised messaging enhance networking opportunities.
LinkedIn has evolved into a great tool for dental professionals seeking to enhance their visibility, grow their professional network, and establish trust in the industry. By actively engaging with others and sharing valuable insights, you can build meaningful business relationships and expand your career opportunities. n
about the author




The couple that helps you to achieve even better oral hygiene





FLEXI
• The special flexible handle makes it possible to angle the handle to achieve better and easier access to all interdental spaces.
• The non-slip handle ensures good grip, even when fingers are wet.
• All brushes have plastic coated wire. This ensures no metal is in direct contact with teeth and gums, thus making them much more comfortable to use and preventing dental injuries.
• 11 sizes ensure that all needs are covered.
PREVENT Gel
• Strengthens the enamel and has an anti-bacterial effect.
• 0.12% chlorhexidine and 900 ppm fluoride.
• The consistency combined with the needle shaped tube end make it easy to apply directly on the FLEXI brush and use wherever needed.
• Pleasant taste of peppermint.
• No alcohol or abrasives.
Over the past three years, dental practices have faced a perfect storm of rising operational costs. Inflation, increased pay rates for associates and workforce shortages have all contributed to tightening margins. More recently, staffing costs rose again with the increase in the national minimum wage, employer national insurance contributions, and lower thresholds introduced on April 7th relating to company size and reporting requirements.
These cost increases are not just short-term financial burdens – they directly affect your dental practice valuation. With average EBITDA margins falling from 17–21% to around 12–18%, many practice owners are rightly concerned about the long-term impact.
It got us thinking and conferring with our professional partners about how dentists can mitigate the effects of rising costs without damaging the value of their business.
Understanding the link between costs and valuation is a great place to start.
Valuation is typically based on a multiple of adjusted EBITDA. When profitability drops, valuations can follow. It may be tempting to slash costs to inflate short-term profits but savvy buyers will adjust for sustainable, realistic expenses. Cutting too deeply – or underbudgeting – can backfire. It’s essential to distinguish between discretionary costs, which are added back during valuation (e.g., consultancy or business coaching), and core costs that impact your adjusted EBITDA. For example, investing in expert advice during a crucial growth period may seem counterintuitive, but if these costs drive profitability, they won’t detract from valuation because they are added back to profit to calculate your EBITDA, so could boost it significantly.
Keep profitability aligned with market conditions
Conduct Annual Price reviews: Review and update your pricing in anticipation of rising costs. Delaying price increases only leads to sudden, uncomfortable jumps later for patients.
Patient Communication: Be clear and transparent with patients, especially when honouring previous quotes. Explain why price adjustments are necessary and how they support continued quality care.
Market Comparison: Research local competitors and use a “cost per hour per surgery” model to better understand your margins.
Align Plans with Pricing: Ensure your maintenance plans reflect your private fee-per-item structure to avoid unintentional under pricing.

Don’t let plans drain your profit Remuneration models, especially for associates under dental plans, can quietly erode profit. In many cases, associates receive a portion of the plan income and are recharged for hygiene time at non-commercial rates – often just a contribution to the hourly pay rate of the hygienist, without factoring in overheads. This setup can result in associates earning more from a treatment than the practice itself.
A more profitable approach is to pay dentists based on the activity they perform at an item-of-service equivalent rate. Retain hygiene income within the practice and manage its delivery cost directly. We’ve seen practices increase valuation by £500,000+ simply by restructuring income allocations on high-proportion plan models.
Growth strategies
Shift to Value-Based Care.
Move Beyond Single-Tooth Dentistry: Focus on comprehensive care and full-case delivery to increase patient value and differentiate your practice. Invest in Skills: Upskill in treatment planning and high-value services. This creates revenue opportunities that elevate both income and business appeal.
Track Clinician Performance: Understand who contributes most to profitability. Often, Principals are top earners, which can be a red flag to buyers if future performance is overly reliant on one person.
Marketing
Leverage what you already have
Internal Marketing: Your patient database is a powerful asset. Focus on reactivation and recall campaigns to generate revenue with low acquisition costs.
External Marketing: Don’t shy away from investing here. Create a budget and evaluate ROI. A small spend can yield high returns when targeted properly.
cost control
Be strategic, not stingy
Budget Intelligently: Review previous years. Was there unnecessary or duplicated spending? Can you negotiate better deals?
Track Monthly: Know what’s over and under budget. Monitor cash flow, track spending by surgery, and incentivise staff to help meet financial goals.
Practical Controls: Introduce surgerylevel budgets and align staff incentives with performance. This instils accountability and transparency.
Operating model
Work smarter, not harder.
Process Mapping: Evaluate whether the right people are in the right roles. Consider therapy-led models for routine care, freeing dentists for higher-value treatments.
Digitisation and Automation: Identify manual tasks that can be streamlined. Automating admin processes can free up time and resources while improving patient experience and case conversion.

asset utilisation
Maximise clinical time
Optimise Chair Time: Reduce downtime by ensuring efficient scheduling and avoiding session lengths that block other users. Increase Provider Utilisation: Introduce income-generating providers when possible. While top-performers are key, even modest contributions are better than unused surgery time.
The reality of rising costs in dentistry must not be ignored – but nor should you panic. With the right strategies in place, you can not only protect your profitability but safeguard and even enhance your practice’s valuation. Focus on sustainable growth, strategic investment, and efficient operations. Buyers don’t just look at your bottom line – they assess the quality, stability, and scalability of your business. Position your practice to meet those expectations, and you’ll thrive through challenging times. n
about the author
abi Greenhough, Managing Director of Lily Head Dental Practice sales.

The most e ective and body-friendly way of healing soft tissue and oral wounds.
















Patient Case Study – Before

Patient presented with Stage 4 Grade B
Generalised Periodontitis.
Treatment: RSD Q&Q. blue®m TOOTh protocol










Patient Case Study – After

Recall at 12 months
Case study and photographs courtesy 0f Pat Popat BSc(Hons), PTLLS, RDH, RDT
The new financial year has brought with it the implementation of some important fiscal policy shifts, the effects of which will take some time to measure. Larger-scale dental practices and laboratories are likely to feel the burn of higher operating, staffing and materials costs most keenly. Consequently, the whole dental market will be watching with interest as a renowned, large-scale dental group purportedly readies for a big sale. While multiples as high as the 17x achieved pre-COVID are not on the cards, should a successful large-scale sale come to pass, private equity will be watching with interest what multiple a couple of these big groups achieve. Aspirations are said to be currently set between 10-11x EBITDA, which it should be understood is after the cost of their central function(s) have been costed in. Attainment of an EBITDA multiple lower than 10x would be a disappointment for all practice owners due to the ripple effect across the market.
The dental practice as a valuable asset is not in question. However, a devalued, high-profile group could set a precedent that would cause other buyers to question high multiples on individual acquisitions and/or smaller groups. This would have a cascading effect which would lower all transactions; even your two surgery NHS practice selling to another dentist. As with a lot of markets, a lot of the sequential pricing

is set by what is happening at the top of the market.
Based on all the signs in 2024-25, despite concerns, the dental market has started to spring back with gusto potentially expedited by changes to Business Asset Disposal Relief (BADR). In 2025-26, the dental mergers and acquisitions (M&A) market is expected to remain active, with private equity-backed corporate buyers continuing their strategic and selective re-entry into the dental market. There will be a continued focus on practices with potential for an increase in private provision due to financial restrictions on NHSfocused practices, and difficulties some practices have had recruiting and meeting contractual obligations.
However, contrary to some misconceptions, the presence of an NHS contract still offers a safety net and is still seen as an asset by buyers. This interest is unlikely to disappear with NHS England, though only time will tell. At the moment, the delivery of UDAs, and the recruitment of NHS dentists is still on the rise, and has recently started to look almost as healthy as it did before COVID-19.
Independent groups and owner-operator first-time buyers are expected to maintain their appetite for acquisitions across all practice types. This is likely to persist over the next year as interest rates stabilise and successful integration and divestment periods are observed. The slack between corporates and independent owner-operators has been enthusiastically filled by micro-consolidators, who have the means to borrow at competitive rates from high-street lenders and offer very favourable terms to vendors. Commercial banks are enthusiastically financing transactions, while the private credit market continues to deploy capital.
While continued issues with recruitment are expected, especially in rural and coastal areas, recently announced initiatives to streamline the Performers List Validation by Experience (PLVE) & Overseas Registration Examination (ORE) processes may offer some relief. The GDC has recently announced the introduction of additional exam dates for overseas dentists to receive full accreditation to practise in the UK.
In other news, the market share for private dentistry is expected to grow in the UK and beyond. The global cosmetic dentistry market size was valued at USD 29.50 billion in 2024. Now at USD 32.36 billion in 2025 the market is projected to grow to USD 76.33 billion by 2032. The global dental prosthetics market was estimated at USD 9.10 billion in 2024 and is expected to grow to USD 15.87 billion by 2034.
Long COVID is a title given to a group of health problems that persist following a COVID19 infection. Four years after lockdown was phased out and two years after the World Health Organization (WHO) declared the end of the pandemic, it is something the general public is only just starting to get to grips with.
It has affected me, and has meant changes to the way I operate as part of money4dentists, for the better of the clinicians we have worked with for decades.
The result is an exciting partnership with the Ruby Group, who add to the expertise of the independent financial advisers already at money4dentsits, and give dental professionals the most comprehensive and in-depth financial support to date.
My experience with long cOViD I’ve always been someone who lives life at 100mph. Like most dental professionals running their own practices, when it came to my work with money4dentists, it was necessary to operate with speed and efficiency. With so much ongoing day-to-day, I was helped by a near-enough photographic memory. In my free time, there was no want to sit still either; I used to be a mountain runner, and was super fit.
Then five years ago, in March 2020, I hit a wall. I’d become ill during the COVID-19 pandemic, but unlike most people, recovery didn’t take me back to the condition I’d felt before.
It’s not an unheard-of feeling. In March 2023, around 1.9 million people in the UK reported symptoms of long COVID, representing 2.9% of the population.
It has made everyday tasks like walking up the stairs a difficulty, and I often experience a brain fog that has changed life immensely. Whilst it’s not a medical term, brain fog can encompass a range of symptoms for people. Difficulty concentrating, slower thinking, fuzzy thoughts are all possible. In reality, I’d gone from a photographic memory to, on some days, struggling to do the basics that many of us – myself included – take for granted.
At moments, I’ve struggled to remember the names of my own children.
Long COVID would create changes that meant I had to approach life differently, from both a professional and a personal standpoint. To offer the best possible service to the profession, my outlook has therefore had to evolve in some ways.
money4dentists today
Partnering with the Ruby Group was unquestionably the best way to ensure
Resilient dental sector
Overall, the global dental market, currently valued at around USD 44.33 billion in 2025 is expected to reach around USD 121.36 billion by 2034, and the global dental equipment market is expected to rise from USD 12.71 billion in 2025 to around USD 22.1 billion by 2034.
For advice on growing the value of your dental practice, you need look no further than the specialist dental teams at Dental Elite. With 15 years in business, and over 1,000 successful transactions under their belt, the experienced brokers, finance specialists, sales progression teams and recruitment consultants provide a bespoke service to get you on track for a sale that works for you.
The dental sector is currently considered to be a safe bet for lenders, and continues to be resilient, despite continued concerns about the rising cost of treatment for patients under financial stress. That has to be something to be optimistic about.
For more information on Dental Elite visit, www.dentalelite.co.uk, email info@dentalelite.co.uk or call 01788 545 900 n
about the author
Luke Moore is one of the founders and Directors of Dental elite.

the continuation of an exceptional service to clinicians.
I’ve known the team at Ruby for quite some time, and they already had an interest in supporting dental professionals. Alongside the exceptional levels of experience that their team provides and can bring to dentists, it was a perfect fit; they run a similar type of business, they are really forward-thinking and dynamic, with shared outcomes and visions for the future of our business approach.
By combining our resources and expertise as service providers, clinicians can continue to receive unique insights into pension and retirement planning, income protection and tax efficiency, investments and much more. Each piece of advice is tailored to dental professionals, as we understand the challenges they face in many aspects of financial life.
The joint experience and knowledge of the Ruby Group and the money4dentists team also means that clinicians will continue to benefit from consistently high-quality service. When I have bad days, the standards shared by everyone around me will not compromise, and dental professionals will be sure to receive support that always endeavours to go above and beyond.
It’s not been an easy change at times; money4dentists is something
I have forever been passionate about, and to have to change my approach is personally difficult at times. For any professional changing their relationship with their company, some personally emotional moments are expected.
But it is the best thing for me, and more importantly for you, and the rest of the dental profession.
I have to take a back seat, but will be doing what I can, when I can, in assisting our team, and as an organisation we will continue to support the needs of clinicians. money4dentists will endeavour to support dental professionals with leading insight, from a team of independent financial advisers that is rich with expertise and drive. Clinicians who want to know more can book a free consultation with our team today – now with added Ruby Group insight.
For more information, please call 0845 345 5060 or 0754DENTIST.
Email info@money4dentists.com or visit www.money4dentists.com n
about the author Richard T Lishman,
Managing Director of the 4dentists
Group of companies.

































EthOss® is a 100% synthetic bone graft material for dental implant surgery. With no risk of cross-contamination, EthOss® works with the body’s healing process by creating a calciumrich environment and is completely absorbed.

























Experience exceptionally lightweight loupes with crystal clear optics, designed and optimised for you.
• Custom Measurements
• Custom Fitting
• Custom Fabrication
For a t as unique as you are.

