Smile Jan/Feb 2025

Page 1


Our clinical superiority is unmatched, delivering results that speak for themselves. REMOVES 99.9 % OF PLAQUE FROM TREATED AREAS* *Independent clinical study. Go to www.waterpik.co.uk for details.

REDUCES GINGIVITIS UP TO 50% MORE THAN STRING FLOSS

HEALTHIER GUMS WITH UP TO 93% LESS BLEEDING IN JUST 4 WEEKS

CLEANS PLAQUE AROUND BRACES UP TO 5 x BETTER THAN BRUSHING ALONE HELPS IMPLANT GUM HEALTH UP TO 2 x MORE THAN BRUSHING AND STRING FLOSSING

As I type this, January is drawing to a close and 2025 is full swing. While the first month of the year is often thought of as dry at best, February brings a little more optimism. The mornings tend to be a little brighter and love is in the air.

To top it all off, February this year is expected to see the start of Ramadan – a period of prayer, reflection and coming together as a community for those that are part of the Muslim faith. The month-long celebration marks the ninth month of the Islamic calendar, and so it comes along at a different time each year. In fact, in 2030, Ramadan will occur twice (the last time this happened was in 1997).

SUBSCRIBE TO SMILE

Rates: UK £39.95 per year; Overseas £83 - all cheques in sterling drawn on a UK bank made payable to ‘Smile’. 8 issues including 16 hrs CPD £39.95

Here in 2025, Ramadan is looking likely to begin on Friday 28th February – although it may fall instead the following day on 1st March. While predictions can be made, the exact date is difficult to pin down in advance as it relies on the sighting of a crescent moon.

The relevance of this to dental professionals is that, in addition to prayer, reflection and community, Ramadan is also a month of fasting, which can result in oral health implications. For all you need to know, flick through to Sakina Syed’s article on Ramadan and oral health on page 12.

There’s plenty more to sink your teeth into this issue. Enjoy the read!

the information in this publication is correct and accurate, the publisher cannot accept liability for any consequential

or damage, however caused, arising as a result of using information printed in this magazine. The views expressed in Smile OHM Magazine are not necessarily the views of the magazine, nor of Purple Media Solutions Editorial Advisory Board: Dr Barry Oulton, B.Ch.D. DPDS MNLP; Dr Graham Barnby, BDS, DGDP RCS; Dr Ewa Rozwadowska, BDS; Dr Yogi Savania BChD, MFGDP; Dr Ashok Sethi, BDS, DGDP (UK), MGDS RCS; Dr Paroo Mistry BDS MFDS MSc MOrth FDS (orth); Dr Tim Sunnucks, BDS DRDP; Dr Jason Burns, BDS, LDS, DGDP (UK), DFO, MSc; Prof Phillip Dowell, BDS, MScD, DGDP RCS, FICD; Dr Nigel Taylor MDSc, BDS, FDS RCS(Eng), M’Orth RCS(Eng), D’Orth RCS(Eng); Mark Wright BDS(Lon), DGDP RCS(UK), Dip Imp Dent.RCS (Eng) Adv. Cert, FICD; Dr Yasminder Virdee, BDS. Published by Purple Media Solutions The Old School House, St Stephen’s Street Tonbridge, Kent TN9 2AD Tel: 01732 371 570

ORAL HEALTH

in association with:

Other titles include:

Managing Editor James Cooke james cooke@purplems.com Tel: 01732 371 581

Commercial Director Gary Henson gary.henson@purplems.com Tel: 07803 505208

Production and Designer 1 Lorna Reekie lorna reekie@purplems.com Tel: 01732 371 584

Production and Designer 2 Rob Tremain rob.tremain@purplems.com

Divisional Administrator Francesca Smith francesca.smith@purplems.com Tel: 01732 371 570

Circulation Manager Andy Kirk

Managing Director Ed Hunt ed.hunt@purplems.com Tel: 01732 371 577

The Missing Link in Healthcare: Why Oral Health Should be

Central to the 10 Year Health Plan for England

The call to put the mouth back in the body is not new. Over a decade ago the World Health Organization (WHO) acknowledged the critical link between oral health and NCDs. Since then it has championed integrating oral health into NCD prevention frameworks, and embedding oral health within universal health coverage (UHC) policies.

The Lancet Series - Oral Health (2019) also provides a compelling case for prioritising oral health care on policy and public health agendas. Highlighting the NCD links with oral health, inequities, and the broad impact of oral diseases, the authors argue for transformative action, a move from a treatmentfocused model to a prevention-oriented, communitybased, and universally accessible approach. In presenting the evidence for investment in preventive oral health care, cost-effectiveness is realised by not only a reduction in the need for expensive treatments but also the mitigation of the economic impact of productivity losses caused by oral diseases. The series of articles, from eminent authors and researchers, stress that oral health is an essential component of overall health and well-being and should no longer be relegated to the periphery of health agendas.

The urgency for action has been underscored by the recent World Economic Forum (WEF) white paper, The Economic Rationale for a Global Commitment to Invest in Oral Health (WEF 2024). The report identifies poor oral health as a significant contributor to rising healthcare costs, particularly through preventable conditions and emergency interventions. By integrating oral health into primary care and community services, the WEF demonstrates that nations can achieve substantial returns, including cost savings, driven by reduced systemic health complications, improved population health, and lower overall treatment costs, all of which contribute to healthcare sustainability. By prioritising oral health, governments and health systems unlock a powerful lever for improving health outcomes and reducing inequities at a system-wide scale.

For our new Government focused on economic growth and equity, the case for oral health is clear. Prioritising oral health would alleviate NHS pressures, reduce health disparities, and drive economic stability.

The Neglect of Oral Health: A Broken System

In the UK, dental care and oral health services have been marginalized for decades, despite clear evidence of need and persistent calls for reform. Successive Secretaries of State for Health deferred decision-making, kicking the dental can down the road. This institutionalised apathy has led to stark disparities with entire regions of England, termed “dental deserts,” where accessing affordable dental care is impossible. Many local authorities have also neglected their oral health promotion responsibilities. The consequences are devastating. Childhood tooth decay remains the leading cause of hospital admissions, despite being almost entirely preventable. Adults face insurmountable barriers to care, some resorting to DIY dentistry or forgoing treatment altogether. The insidious second order effects on systemic health multiply, for the patient and the public purse.

The current system is not just unsustainable—it is broken. Yet, I believe it is fixable, if we are prepared to reimagine dental care with the attitude and aptitude to think broadly and act boldly.

Wes Streeting’s 10-Year Health Plan provides us with a unique opportunity to rethink and rebuild

oral health services. We have a fresh ministerial team and I hope for a fresh approach. One that will make oral health a cornerstone of public health and an integral element of NHS care delivery.

What’s at Stake?

Inaction is far from neutral; it’s a costly gamble with profound consequences. Without decisive intervention, oral health inequalities will deepen, leaving underserved communities further behind. Preventable oral diseases—already costing millions annually—will continue to strain NHS resources, diverting funding from other critical healthcare needs.

The stakes are even higher when we consider the systemic health impact. Poor oral health doesn’t just affect teeth; it exacerbates NCDs like diabetes and cardiovascular conditions, amplifying the financial burden on the entire healthcare system. The effects extend beyond costs, undermining workforce productivity, quality of life, and the broader societal well-being.

Failing to act risks compounding these challenges, locking the NHS and society into a cycle of escalating costs and worsening health disparities. Now is the moment to pivot from reactive care to proactive investment in oral health, transforming it into a cornerstone of sustainable public health and equitable healthcare.

Why Oral Health Must Be Central to Wes Streeting’s 10-Year Health Plan

Oral health’s inclusion in the 10-Year Health Plan for England isn’t just about risk management—it’s a strategic opportunity to lead the way in integrating dental care with broader healthcare frameworks. There are many strands of activity from contracts, to commissioning, business models and workforce but the founding Three Strategic Priorities required to set the conditions for success and reshape oral health delivery are:

1. Integration with Primary and Community Care

Treating oral health as an integral part of overall health requires system change:

• Embedding dental services and oral health care pathways within primary and community services as part of the multi-disciplinary approach.

• Commissioning oral health interventions as part of NCD prevention strategies.

• Co-locating dental services in general medical practices and community health settings

For the NHS, this also means forward-thinking infrastructure planning. Capital projects should incorporate preventive and therapeutic dental services, improving accessibility and efficiency.

2. Digital Transformation

Harnessing technology can drive smarter, more effective care delivery. For oral health:

• Leveraging shared electronic health records to ensure seamless, multidisciplinary patient care.

• AI tools to enhance triage, diagnostics and monitoring.

• Real-time analytics to enable targeted interventions for at-risk populations.

• Digital outreach for residential care settings. Oral health must be embedded in every NHS digital initiative—not as an afterthought, but as a standard.

3. Prevention and Public Outreach

The key message is that good health starts with a healthy mouth. With transformative public health campaigns there is potential to change behaviours by connecting oral health to systemic health benefits. This includes:

• Public messaging linking oral health to NCDs, improved quality of life and reduced healthcare costs.

• Partnering with councils and charities to address social determinants of oral health to support outreach and oral health literacy, community distribution of oral hygiene packs tailored to local design/needs.

This triad of strategies are the basis of a patientcentred oral health system designed to reduce inequities and achieve long-term cost efficiencies. Detail on the the accompanying policy proposals, the rationale, enablers, challenges, return on investment, together with a 10 year phased plan of policy action and implementation are included in a paper to be submitted to interested parties at DHSC and NHS E.

Why Oral Health Matters to Everyone

My ambition in writing this blog is to highlight that good oral health isn’t an isolated achievement or the sole responsibility of dental professionals. To shift thinking we need a collective effort involving caregivers, educators, policymakers, public health advocates, the food industry, and every healthcare or social care professional who interacts with patients or communities.

Oral health matters to all of us. Investing in oral health for our communities means investing in a healthier, more resilient future. It is fundamentally a social, economic, and equity issue that demands collective action to challenge the orthodoxy that has siloed oral health.

By putting the mouth into the body of Wes Streeting’s 10-Year Health Plan we can create a healthcare system that doesn’t just treat disease but prevents it—starting at the root, quite literally.

This is a call to action for all of us—policymakers, teachers and technologists, academics and industry leaders, media commentators and community advocates, and the public at large.

We need to act now if we are to create a future where dental care and oral health are not afterthoughts but a pillar of equity, sustainability, and well-being for all.

Your advocacy and your views on oral health and dental care services need to be part of the conversation at: change.nhs.uk n

Your journey to the Oral Health Summit

Rhiannon Jones invites readers to imagine the excitement, opportunities and transformative experiences awaiting attendees at the inaugural Oral Health Summit

This November, the Oral Health Summit promises to be a transformative event for dental professionals. Imagine yourself stepping into the heart of Edinburgh, ready to embark on a journey of collaboration, learning, and inspiration. Off we go…

Arrival in Edinburgh

Your journey begins on the 28th in the vibrant city of Edinburgh, with its rich history and iconic skyline. As you arrive at the state-of-the-art International Conference Centre, you’re struck by its modern architecture and central location, making it an ideal venue for the Summit. The energy of fellow delegates fills the air, and the sense of anticipation is palpable.

The first-of-its-kind Summit embodies the synergy of two leading organisations - the British Society of Dental Hygiene and Therapy (BSDHT) and the British Society of Periodontology and Implant Dentistry (BSP). So, after checking in and collecting your event materials, when you glance through the programme, you’re excited to see the variety of sessions and activities available, and you sense the careful thought that has gone into every detail.

Each session, workshop and event reflects a shared commitment to bridging educational gaps, fostering collaboration across disciplines, and advancing the future of patient care and professional development.

Diving into learning

The Summit opens with plenary sessions featuring renowned experts sharing groundbreaking insights that challenge and inspire. These sessions set the stage for a number of key themes, including promoting health, preventing disease and supporting the profession.

You choose your path for the day. Perhaps a breakout stream delving into restorative techniques catches your eye, or you decide to attend a practical workshop where handson demonstrations bring innovative tools and techniques to life.

You might choose to join one of the conversational-style discussions designed to encourage interaction. In smaller, focused settings, you’ll exchange ideas with industry leaders and peers, fostering not only professional development but also personal connections.

Every session is tailored to the diverse needs of the dental team, ensuring there’s something valuable for everyone, whether you’re a dental hygienist, dental therapist, general dentist or specialist.

Exploring innovation

The bustling trade exhibition offers a glimpse into the future of dentistry. Suppliers and exhibitors showcase cutting-edge technologies, products, and services designed to streamline your practice and enhance patient care. Mini sessions and live demonstrations provide opportunities to trial equipment and interact directly with industry leaders.

As you engage with exhibitors, you’re inspired by the possibilities these innovations bring. You leave with actionable insights and practical tools to implement back in your practice.

Building connections

In addition to learning, the Summit is a space to connect. Over a relaxed coffee break or during the formal evening dinner, you find yourself building relationships with peers, exchanging ideas, and sharing experiences. This year’s programme also includes an exclusive drinks reception with a vibrant party feel that promises to be a special and enjoyable opportunity to celebrate and share ideas. Please note that spaces for both the evening dinner and drinks reception are limited, so early booking is advised.

These moments of camaraderie highlight the strength of the dental community and reinforce the collaborative spirit that defines the Summit. Networking also extends beyond the formal settings. Whether exploring Edinburgh’s historic streets with new colleagues or joining an impromptu discussion after a session, these shared experiences leave a lasting impact.

Leaving Inspired

As the Summit concludes, you reflect on the wealth of knowledge gained, the connections made, and the innovations explored. You leave not only with renewed enthusiasm but also with practical strategies to elevate patient care and drive positive change within your profession. The energy of the Summit stays with you long after the event, providing the momentum to turn ideas into action and bring about meaningful improvements in your practice.

Join us this November

Be part of this transformative journey at the Oral Health Summit on the 28th and 29th November (with additional BSP workshops only on the 27th November) in Edinburgh. Secure your place today and take the first step towards shaping the future of dental care. Visit tinyurl.com/oral-health-summit for more information and registration details. n

ABOUT THE AUTHOR

RHIANNON JONES

Rhiannon is President of the BSDHT, and holds dual dental hygienist and dental therapist qualifications. With experience spanning general practice, NHS hospitals and academia, she is dedicated to empowering patients, promoting health, and supporting the profession.

Does a rising wave of anti-fluoride propaganda signal the need for a national fluoride campaign?

In recent months, the resurgence of antifluoride rhetoric has sparked concern among public health professionals. Across the Atlantic, the narrative has gained traction with figures like Robert F. Kennedy Jr., who, as a prominent political figure in the United States, has been vocally critical of water fluoridation. His claims, including assertions linking fluoride to various health issues, have amplified misinformation and driven policy debates in the US. While the structural differences between the American and British healthcare systems mean such policies are unlikely to directly affect the UK, the broader implications of anti-fluoride sentiment cannot be ignored.

As dental professionals, it’s critical to examine whether this growing wave of propaganda necessitates a proactive response in the form of a national fluoride campaign. This article explores why such a campaign may be timely, the benefits it could bring, and how it can counteract the pervasive spread of misinformation.

Why misinformation is a problem for the UK

In the United States, decisions about water fluoridation are made locally by municipalities or states, with public opinion often playing a significant role. By contrast, in the UK, these decisions are based on NHS-backed scientific evidence and include local public consultation as part of a structured, centralised process. Despite this, the cultural and informational closeness between the UK and the US allows anti-fluoride rhetoric to cross borders, particularly through social media platforms.

A simple search for ‘fluoride’ online unveils a torrent of conspiracy theories and pseudoscientific claims, many of which are alarmingly persuasive. Social media platforms have become fertile grounds for misinformation. Hashtags such as #fluoridefreetoothpaste amass thousands of posts, while influencers tout the supposed benefits of fluoride-free products with little regard for evidence-based science. What is particularly concerning is how these platforms blur the lines between credible information and outright falsehoods. In these spaces, it’s not the accuracy of a claim that determines its success, but how loudly and widely it is shared.

The spread of misinformation and antifluoride rhetoric can severely undermine the UK’s structured, evidence-based approach to water fluoridation decisions. As social media allows pseudoscientific claims to gain significant traction, they can erode public trust in the science supporting fluoride’s benefits. This, in turn, could distort public consultation processes, leading to decisions that are influenced more by fear and misinformation than by the robust, scientific evidence backing fluoridation. Ultimately, this undermines the integrity of the decision-making process and jeopardises public health initiatives aimed at reducing dental decay.

Why a pro-fluoride campaign matters

The history of fluoride use is one of the most compelling success stories in public health. Fluoride has significantly reduced the prevalence of dental caries, improving quality of life and preventing costly dental treatments. Yet, the effectiveness of fluoride is contingent on public understanding and acceptance.

A national fluoride campaign would serve several crucial purposes. Not only would it provide clear, evidence-based information – a campaign can also debunk myths and reassure the public about the safety and benefits of fluoride. By engaging with social media and other digital platforms, a campaign can counteract anti-fluoride narratives where they are most pervasive.

A well-crafted campaign would help, support and empower us as health professionals to confidently address patient concerns, armed with accessible resources and messaging.

The ultimate outcome is acceptance over the benefits to expand water fluoridation to more regions in the UK. We believe this would reduce oral health inequalities, particularly in underserved communities.

Lessons from the past and the present

The UK has not seen a high-profile fluoride campaign in years, despite fluoride’s pivotal role in transforming oral health outcomes. Revisiting this strategy could help counter the growing social media-driven misinformation that reaches millions daily. The availability of fluoride-free toothpaste on mainstream platforms like Amazon and high street retailers underscores how easily misinformation translates into consumer behaviour.

Recent statistics reveal that social and oral health inequalities persist in the UK, with children in deprived areas experiencing higher levels of tooth decay. This is a stark reminder that public health campaigns must address not just misinformation but also the systemic barriers to oral health.

The path forward

A national fluoride campaign would require collaboration between the government, dental professionals, and oral health manufacturers. With adequate funding and strategic messaging, such a campaign could not only highlight the scientific evidence supporting fluoride, but it could address the economic benefits of reducing dental decay through fluoride use.

As professionals, we must advocate for action before misinformation gains further ground. The stakes are too high to remain passive. Fluoride has been the single most impactful intervention in reducing tooth decay, and its benefits are unequivocal. The time has come to reaffirm its value to public health through a coordinated and impactful campaign.

The rising tide of anti-fluoride propaganda poses a clear challenge, but it also presents an opportunity. By addressing misinformation head-on and promoting the undeniable benefits of fluoride, we can ensure that evidence, not ideology, shapes public health policy and consumer behaviour. For the UK, a national fluoride campaign shouldn’t be a luxury – it’s a necessity. n

ABOUT THE AUTHOR

Crunch time for NHS Dentistry

Will it sink or swim?

The National Audit Office (NAO) has released its long-awaited report on the NHS dental recovery plan. Setting out to provide clarity on the current state of NHS dentistry, the report examined how the recovery plan was developed and whether it will meet its objectives. The findings showcase a myriad of problems with the foundations and future direction of NHS dentistry.

As part of the NAO’s investigation, we participated in their roundtable discussion in August, alongside other key stakeholders. The session focused on the issues outlined in the report, with attendees asked to provide evidence and share their views on NHS dental access, the recovery plan, and its achievements to date.

What became clear from this session is that, as a profession, we are broadly aligned. We share a common understanding of the challenges at hand, the shortcomings that have led to our current situation, and the opportunities available not only to restore NHS dentistry but to help it thrive. Frustratingly, the outcomes largely remain out of our hands.

Here’s a brief outline of the NAO’s report, what its findings are, and what it may mean for the future.

What’s in the report?

The NAO report lays bare the stark failings of NHS dentistry – failings that have denied millions of people their right to NHS dentistry that they need to maintain good oral health and be pain-free. Access to NHS dental services has plummeted, with rural and underserved communities hit hardest, leaving patients to suffer from preventable oral health issues and diseases.

It is not only a crisis for patients in the UK but also for dental professionals, who are overworked, undervalued, and facing unprecedented pressure. Many are leaving the NHS for better opportunities in the private sector. In the past, serving your local community as an NHS dentist was a source of pride. Now, it is seldom a viable career path.

It delivers the verdict that the recovery plan’s headline ambition, to deliver more than 1.5 million additional courses of treatment, is not achievable. And even if it was, it would still mean 2.6 million fewer courses of treatment than in 2018-19.

It shows dental deserts and long waiting times are merely symptoms of widespread issues in our healthcare system. Overall spending on primary care NHS dentistry has fallen in real terms, dropping from £3.66 billion in 2019-20 to £3.11 billion in 2023-24, a drop from £65.15 to £53.88 per person in England.

None of the information in this report is surprising to those in dentistry. We know we have problems; we have had problems for years and, to those who think it was brought on suddenly by the pandemic… no.

The issues of today have been in the pipeline for years. If anything, the pandemic merely sped up what we were going to experience anyway. NHS dentistry has been underfunded, understaffed and unappreciated for years.

What happens now?

When the NAO completes an audit or investigation, the government is required to respond to the findings and recommendations. This response typically includes plans for addressing identified issues or areas of improvement.

So, what does this mean and what do we want to see? First and foremost, the Department of Health

and Social Care, along with NHS England, must be completely transparent about their realistic future plans for NHS dentistry and the funding required to implement them. The public and dental professionals have a right to know what the government’s strategy is and how much money they are willing to invest in NHS dentistry.

While there are potential solutions – including a new NHS Dental Contract focusing on prevention and capitation – no measures can hope to be effective without real, meaningful investment and clear, achievable targets.

It is not just reform that is needed, but a completely new system that works for both patients and professional staff. For NHS dentistry to thrive and be available to all who need it, it needs to be unrecognisable in its rebirth. The amount of money and time we will need to truly fix NHS dentistry will be staggering. It’s clear the profession has the appetite to forge a better service – we now must be supported by an ambitious and visionary government.

The need for change

The time for complacency has passed. The government must act urgently to ensure that everyone who needs dental care can access it promptly, and that dental professionals are supported and valued. The current plan is insufficient, and the government must provide clarity and urgency in their approach.

Without decisive action, the gap between what is promised and what is delivered will continue

to grow, and the public, NHS workers, and the system as a whole will bear the consequences. The question is no longer whether NHS dentistry can be saved, but whether the government has the will to make it a true priority before it’s too late. I hope this will be the rescue raft that dentistry needs and not a leaky bucket that causes NHS dentistry to sink.

The NAO’s new report underscores the gravity of the situation. It highlights the stark realities facing NHS dentistry, providing hard evidence of the systemic challenges that must be addressed. This report is a call to action – a vital tool in holding the government accountable. It must not fall on deaf ears. Instead, it should serve as a catalyst for meaningful change, inspiring the urgent reforms needed to secure a sustainable, accessible future for NHS dentistry. n

ABOUT THE AUTHOR

Ramadan and oral health

Philips Shine-On Award Winner Sakina Syed shares her thoughts on Ramadan and Oral Health

Ramadan is expected to begin on the evening of Friday 28 February 2025 and will end on the evening of Sunday 30 March 2025, with the exact dates contingent upon the sighting of the crescent moon.

During Ramadan, Muslims fast, abstaining from eating and drinking during the hours between sunrise and sunset. Pregnant women, nursing mothers, the elderly, young children, and those with medical illnesses are exempt, however many still choose to fast.

Health benefits

Fasting encourages the learning of self-discipline, empathy, kindness and mental strength, and can help to purify the body as well as increasing charity, compassion, and care. Many health benefits include the reduction of cholesterol levels, aid weight management, stabilisation of glycaemic control, opportunity for smoking cessation, and prevention of gut microbiome dysbiosis.

Higher risks

As dental professionals, the whole team should be aware of how fasting can affect a person’s diet, their oral hygiene and what possible oral complications or situations can arise.

Fasting does need to be observed in a sensible and carefully managed diet so as not to overindulge both at the early morning breakfast, before sunrise and, especially, the evening meal post sunset. Rehydration and replenishment of energy supplies are important during fasting. A sudden change in diet for such a long period lasting 30 days can increase cravings for sweeter foods, and an unhealthy diet can negatively affect the oral cavity and the whole body.

A typical fasting day

Most individuals observing within the UK will fast for approximately 15 hours, with an early morning breakfast pre-4.30am before refraining from eating or drinking until about 6.30pm. Timings change each year with summer periods of Ramadan being much longer in duration. As the 30 days progress, the timings increase by a few minutes each day depending on sunset. Water can be consumed before beginning the fast and after opening the fast, but not whilst fasting. The entire daily routine can be unbalanced with interrupted sleep patterns and fatigue.

Can you brush your teeth and interdental clean whilst fasting?

Brushing of teeth is allowed with toothpaste, provided the toothpaste is not swallowed. Some individuals believe that toothbrushing is not allowed because of the possibility of water being swallowed, and they do not want to risk breaking their fast so refrain from toothbrushing. It’s advisable to brush teeth before the fast begins and before bed, with some patients happy to brush again before they start their day later in the morning.

Dietary habits can change

Eating foods with higher sugar or carbohydrates can be risky and unhealthy for the month, especially sugary drinks and foods increasing the risk of dental caries. It is best to follow a low carbohydrate, medium fat and high protein diet, and maintain an intake which is as normal as possible, by eating balanced meals.

Traditionally, dates are eaten to open fasts; they are high in fibre (which helps regular bowel movements)

and high in potassium to aid nerves and muscle movements. They are also very high in sugar and have a High GI index, so they release energy quickly, which can be useful post-fasting but, due to the high sugar content, it’s advisable not to eat too many and limit the daily intake to one or two.

Dental appointments when fasting

Many may not want to visit for treatment in case their fast is broken due to water being unintentionally swallowed. There should be no reason why it would affect a dental examination, hygienist appointment, restorative treatment, or extractions, but treatments involving water may cause some patients to think twice about their appointment scheduling. It should be stressed that, if a patient is in pain and needs urgent dental treatment, they should be supported that such treatment is necessary, and they should electively complete the treatment and make up missed fast at the end of the Ramadan. This needs to be handled sensitively, with empathy and understanding so as not to offend their religious belief but also to stress the treatment is in the best interest of the patient.

For some patients, the use of local anaesthetic or any form of water in the mouth, whether it is swallowed or not, may not be acceptable and, in such cases, elective treatments may need to be delayed even though local anaesthetics are permissible. Disagreements may arise, so it is important to respect the patient’s beliefs in an understanding manner to ensure a more comfortable patient journey.

Miswak stick

Miswak stick is still commonly used in the Middle East and Africa to complement existing oral hygiene methods. It is encouraged to use in the holy month as it can help to reduce bacterial plaque but may not be entirely effective on all surfaces of the teeth due to the single length of the filaments on each branch. Some people peel back the stick to open the filaments and others chew the stick for the filaments to separate. Either way, electric toothbrushes are still the number one choice for plaque control and technique.

Halitosis and fasting

Halitosis is extremely common when the body is not receiving any fuel – food or drink – as the body is put into a state of ketosis, releasing ketones. These are chemicals that break down fat for energy and, when they mix with plaque bacteria in the oral cavity, they produce a bad odour. This also occurs with dehydration and more ketones are released due to a reduction in salivary function, drying the mouth.

Oral health tips to combat halitosis during fasting

• During the process of ablution (cleansing the body before praying), utilise the rinsing of the mouth with water slowly allowing the full mouth to be lubricated with the water.

• Brush teeth twice daily with fluoride toothpaste – in the evening and one other time, e.g. before the fast begins. Wait 30 mins post-opening fast to brush your teeth.

• Floss and/or use interdental brushes to clean in between teeth. An alcohol-free mouthwash can also be used.

• Use a tongue scraper to cleanse the tongue and reduce bad breath.

• Avoid sugary foods and drinks, especially when opening fast.

• Eat fruits that are rich in vitamin C, like berries and guavas. Vitamin C helps fight gum diseases and gingivitis, which can also cause bad breath.

• Avoid caffeine and excessive salt, which can contribute to dehydration.

• Chew sugar-free gum post-evening meal to help with salivary stimulation and targeting bacteria growth. Look out for ones that contain Xylitol.

• Eat balanced meals with fruits, vegetables fibre and protein. Foods high in water content, like watermelon, cucumbers, celery and apples, can naturally wash away food debris and bacteria.

• Low Glycaemic Index (GI): Eat slow-release sugar foods such as porridge in the morning.

• Rehydrate: Drink plenty of water, especially after opening the fast to rehydrate the body between 8-10 glasses of water in between fasts.

Medical risks during fasting

There is an increased risk of syncope in the fasting patient, caused by stress on the body and variation in circadian rhythm. Not having sufficient time intervals between fasts can affect regulating the normal body clock and cause fatigue. There is also an increased risk of hyperglycaemia due to dietary changes, and changes in drug intake and glucose monitoring does not break the fast.

Dental team members and fasting

There may be members fasting within your dental teams. Regular breaks should still be taken at the lunchtime period to rest the body and mind, ensuring the room is well-ventilated.

Ramadan Kareem from Sakina! (A traditional greeting to mark the beginning of Ramadan.) n

ABOUT THE AUTHOR

SAKINA SYED

Dental Hygienist & Dental Therapist Sakina Syed works in private practice at Bupa Dental Care, London Bank and Serene by Dr Safa, Knightsbridge, London. She is a key opinion leader for Philips, and an ambassador for EMS and The British Society of Dental Hygiene and Therapy (BSDHT) London Regional chair. @bank_dentalhygienist (Instagram)

The links between oral cancer and obesity

Obesity has become a global health crisis, with far-reaching implications for both physical and mental well-being. While many are aware of the increased risk of heart disease, diabetes, and stroke associated with obesity, a growing body of evidence suggests that it may also play a significant role in the development of a range of cancers, including oral cancer.

A significant risk to health

The growing prevalence of both obesity and cancer can be considered a significant health crisis.ii In England, a substantial portion of the adult population is overweight or obese, with rates reaching 64.0% and 26.2%, respectively. Obesity is linked to age, deprivation and other socio-economic factors. Gender plays a part too, with 69.2% of men being overweight or obese, compared to 58.6% of women.iii Obesity can be caused by lifestyle factors, but is considered a complex condition in which genetics, metabolic disorders and various medications can play a part.iv

Half of the global population will develop some form of cancer in their lifetime,v and oral cancer ranks as the sixth most common cancer,vi affecting 650,000 people per year. The incidence of oral cancer has risen by 49% over the past 10 years, and 10-year survival rates vary between 18% and 57% depending on the location of the cancer and the speed of diagnosis.vii Tobacco and alcohol use are the primary risk factors; however, recent research suggests that obesity may also play a role in increasing the risk of developing the disease.vii

Oral cancer encompasses a specific subgroup of neoplasms occurring in the mouth, including the lips, the anterior two-thirds of the tongue, the gingiva, the hard and soft palate, the oral mucosal surfaces, and the floor of the oral cavity. Among these types of oral cancers, more than 90% are classified as oral squamous cell carcinomas (OSCC).viii

What are the links?

The connection between obesity and oral cancer emerges from the biological effects of excess body fat. Obesity leads to chronic inflammation throughout the body, which weakens the immune system, impairing its ability to counter abnormal cell growth. Persistent inflammation

can damage healthy tissues in the mouth and throat, creating favourable conditions for the development of cancer.vii

Adipose (fat) tissue also produces hormones like insulin and oestrogen in higher amounts, which can fuel the growth of cancer cells.v These hormonal imbalances are particularly concerning when coupled with other lifestyle factors linked to obesity, such as poor nutrition and low physical activity.vii

Diet plays a pivotal role in the obesity-oral cancer connection. A diet high in processed foods, sugar, and unhealthy fats can contribute not only to weight gain but also to an increased risk of oral cancer. Nutrient deficiencies, particularly in antioxidants like vitamins A, C, and E, can weaken the body’s ability to repair cellular damage.v Studies show that a diet rich in fruits, vegetables, and whole grains may help lower this risk by 40-50%.

The importance of early detection

Early detection of oral cancer significantly increases the chances of survival, A timely diagnosis results in less invasive treatment, leading to a better quality of life for patients and fewer complications.viii However a general lack of awareness, and challenges in diagnosis can make timely intervention difficult.x

Barriers to accessing dental care, such as financial constraints, geographic location, or socioeconomic status can hinder regular check-ups and screenings. Fear of diagnosis, dental anxiety or stigma associated with tobacco, excessive alcohol-use, certain medications and poor nutrition may also prevent individuals from discussing symptoms.xi

seeking appropriate care. Clinicians may not always be adequately trained to recognise the early signs of oral cancer, which can lead to missed opportunities for early detection.x

The BeVigilant™ OraFusion System, from Vigilant Biosciences®, is an easy-to-use, accurate point-ofcare system for frontline healthcare clinicians who assess potentially at-risk patients for oral cancer.

Many oral cancers do not present noticeable symptoms in their early stages, making it difficult for patients to recognise when to consult with a medical or dental professional. There is often a lack of awareness about the signs and risk factors of oral cancer among the general public, leading to delayed diagnosis. Additionally, symptoms of oral cancer may resemble those of less serious conditions, resulting in misdiagnosis or delays in

The system is based on patented technology that detects specific biomarkers clinically shown to be associated with early-stage cancers. With a simple interface, this rapid technology works within 15 minutes to detect oral abnormalities, letting the clinician know whether to monitor or refer a patient for further specialist evaluation.

Maintaining a healthy weight through balanced nutrition and regular physical activity is essential not only for overall health but also for reducing the risk of developing oral cancer. At-risk patients should be made aware of the importance of regular dental check-ups and self-examinations. Learning the signs, and using the right tools to assist in early diagnosis can save lives.

For more information, visit www.vigilantbiosciences. com or email info@vigilantbiosciences.com n

References available upon request

ABOUT THE AUTHOR

PHIL SILVER

Experience exceptionally lightweight loupes with crystal clear optics, designed and optimised

For a t as unique as for you. • you are.

Custom Measurements

Custom Fitting

Custom Fabrication

Go with your gut on oral hygiene

In the UK, 66 people are diagnosed with inflammatory bowel disease (IBD) every day. IBD refers to a group of disorders that inflame the colon and small intestine; ulcerative colitis and Crohn’s disease are the two most common in this category. The disease places a notable demand on healthcare resources, prompting the need for a greater awareness of its symptoms and how to manage it.ii

For dental practitioners, IBD’s association with oral diseases, such as dental caries and periodontitis, must be taken into consideration. As a patient with IBD is more susceptible to develop an oral disease, and as a patient with an oral disease is more likely to develop IBD, practitioners must help break this link by promoting a consistent oral hygiene routine.

Understanding IBD

The aetiology of IBD is often unknown. However, those with parents or grandparents who have IBD are more likely to develop it,iii with white ethnic groups having the highest prevalence of it.iv It is a lifelong, debilitating condition with no cure, affecting half a million Brits of varying age groups.iv With IBD, the immune system attacks the bowel, causing it to inflame. Patients can greatly struggle, with common symptoms including severe stomach pain and diarrhoea. Other signs and symptoms can present, such as blood or mucus in faeces, feeling constantly tired and losing weight without trying. iii These symptoms can be evident up to 10 years before a diagnosis.v IBD can lead to days off work or school, a withdrawal from social environments, and an inability to go about the day or perform simple tasks. As such, anxiety and depression symptoms are associated with it, emphasising the need for a multidisciplinary approach to managing IBD.v

Oral

disease and IBD

For IBD patients, the impacted immune system causes changes in the proinflammatory cytokines and oxidative status markers. This is the same cause that progresses periodontitis, leading to tissue destruction.vi Whilst many may associate the gut with being part of the torso, the gastrointestinal tract connects the gut with the oral cavity, increasing the spread of proinflammatory cytokines. The

immune system then sends antibodies to reduce the inflammation in the gingivae, damaging the teeth’s supportive structures and increasing the risk of oral disease.vii As such, there is a higher prevalence of caries and periodontitis in IBD patients. Caries is notable in ulcerative colitis patients, with its dysbiosis leading to increased levels of streptococcus mutans, the microbe that contributes to enamel demineralisation and tooth decay.vi IBD patients are therefore at greater risk from oral disease.

A poor diet has been associated with IBD patients. The World Health Organization found that those with IBD ate more sugary foods, such as jam, sweets, and carbonated soft drinks, like lemonade.viii Furthermore, 30% of IBD patients had oral lesions.ix Advising IBD patients to avoid sugary or processed foods and drinks can play a crucial role in reducing the prevalence of caries and managing IBD symptoms.vii

IBD can be treated with medication, such as steroids.iii A disadvantage is that these medications can cause xerostomia, stalling saliva secretion and depriving the oral cavity’s natural defence against harmful acids.vii This exposes the region to a higher chance of infection, such as the recurrent mouth ulcers found in Crohn’s and ulcerative colitis patients.vii Dental practitioners should recommend solutions for dry mouth, such as chewing sugar-free gum or speaking to a pharmacist.

Wash it away

To help IBD patients repel the threat of oral diseases, recommend using the Cordless Advanced from WaterpikTM, the leading water flosser brand. Reenergise their oral health with this innovative device that can remove up to 99.9% of plaque.x The Cordless Advanced can be customised for optimal compliancy with its four tips, three pressure settings and a full 360-degree tip rotation. This helps the patient find the most comfortable and effective setting for the best results in preventing oral disease infection.

A patient’s quality of life can be reduced by IBD. With overlapping impacts on oral health, physical health and mental health, a multi-disciplinary approach is needed to manage its symptoms. Dental practitioners are a key part of this, and guiding IBD patients towards a reliable oral hygiene routine can play a big role in restoring quality of life.

For more information on WaterpikTM water flosser products visit www.waterpik.co.uk. WaterpikTM products are available from Amazon, Costco UK, Argos, Boots and Tesco online and in stores across the UK and Ireland. n

References available upon request

ABOUT THE AUTHOR

Anne is a Dental Hygienist currently working in a specialist periodontal/implant practice and also a busy NHS surgery. She has previously worked in a max fax unit, and also taught oral health care to staff in nursing and residential homes

BioMin F

BioMin® F is the only toothpaste with advanced technology that delivers slow-release fluoride with calcium and phosphate ions continuously for 12 hours after brushing. This facilitates rapid and continual production of stable, acid-resistant fluorapatite on the tooth surface that penetrates deep within the dentinal tubules, ensuring the teeth are more resistant to acid attack and better protected against sensitivity.

Sensitivity

Sensitivity is the most common dental problem in the UK, with over 25% of adults affected.i Sufferers usually feel a short and sharp pain when their teeth come into contact with a stimulus, such as hot, cold, or sweet food or drinks. It’s important to offer patients advice when they present with sensitivity, and using a toothpaste designed to reduce this discomfort is a great help for many patients.

What makes BioMin the most effective solution

BioMin® F is the result of 15 years research and development at Queen Mary University, London. It has been uniquely formulated with slowly dissolving bioactive glass that adheres to the tooth structure, releasing optimal concentrations of calcium, phosphate and fluoride ions for continuous protection.

This exceptional technology gives patients the advanced protection they need and delivers it when it’s needed most. Recommending BioMin with confidence, provides the assurance your patients need to effectively solve the problem of sensitive teeth as well as offering long term defence for better oral health.

A unique formula with advanced technology

When recommending at-home products to patients, it’s important to understand the benefits, in order to help them make informed decisions for their oral health. So, what makes BioMin F’s formula so unique, and the preferred choice for patients with sensitivity?

Long-lasting relief

BioMin F is formulated with slow-release fluoride, to ensure patients receive the minerals they need in between brushes. It is uniquely engineered to slowly release low level fluoride (below 550ppm) along with the optimal blend of calcium and phosphate mineral ions. When combined, they form fluorapatite, which is acid-resistant and stronger

References i. https://biomin.co.uk/clinical-studies n Award

than enamel. As such, BioMin F is highly effective and clinically proven to provide continuous, longlasting protection for up to 12 hours.

Advanced protection

For the most effective protection, BioMin F is engineered with extra fine particles (60% smaller than those found in NovaMin® products). The revolutionary bioactive material bonds to the tooth and penetrates and occludes any exposed dentinal tubules to deliver superior protection against sensitivity while strengthening and protecting the enamel against any further harmful acid attacks. The tubular occlusion achieved with BioMin® F is much more resistant to dissolution, providing more effective and longer-lasting relief from dentine hypersensitivity.

Clinically proven

A growing body of research suggests that BioMin is effective far beyond other toothpastes, clinically proven to provide patients with enhanced protection when it’s needed most. BioMin F delivers smart pH technology making it a toothpaste that knows what your patients need. Its smart technology reacts to changes in oral pH that are most commonly triggered by sugary and acidic food and drink. On detecting a low pH, it’s bioglass quickly releases mineral ions to neutralise acidity. This helps to prevent acid attacks from causing harm to enamel, that could otherwise lead to decay or sensitivity.

Recommend low and slow for more effective protection

Whilst many toothpastes advertise a fluoride content of up to 1450ppm, this is often soluble and unable to penetrate the tooth surface so is therefore rapidly washed away by saliva and becomes ineffective after 1-2 hours. BioMin F’s unique formula means that less than 500ppm is required to be slowly released in a controlled manner over 12 hours, allowing the saliva to dissolve the bioglass particles as and when the minerals are needed. No other toothpaste has the technology to deliver such effective defence against dentine hypersensitivity. Published research shows that BioMin® F outperforms other sensitivity toothpastes in its ability to block dentinal tubules, resulting in superior and long-lasting sensitivity relief. (Studies available upon request).

For more information about BioMin®, contact your local Trycare representative, call 01274 88 55 44 or email: dental@trycare.co.uk.

Periodontitis and increased stroke risk

It is well known among dental practitioners that oral health has a strong association with general health, but patients may be less familiar with this. As such there is a need for patient awareness to be improved, particularly on the impact that neglecting their oral hygiene can have on the rest of the body.

Among adults, strokes are one of the leading causes of disability and mortality in the UK.i Over 100,000 people have a stroke each year.ii Of major concern to dental practitioners is the link between oral disease and strokes: patients with periodontitis are around twice as likely to have a strokeiii, whilst patients who have had strokes are at a greater risk of infection in the oral cavity due to inadequate hygiene.iv Practitioners can help with both circumstances.

Raising awareness

Strokes are not curable, but the wider public awareness of FAST (Face, Arms, Speech, Time) has improved the speed in which patients can be diagnosed and treated.v Whilst FAST and innovations in emergency treatments have led to a decrease in fatalities, strokes remain the fourth single leading cause of death in the UK.vi

There are two types: haemorrhagic strokes and ischaemic strokes. The former are caused by blood vessels that burst in the brain and are associated with high mortality. Ischaemic strokes are caused by a blockage, such as a clot, which starves the brain of blood and oxygen. 85% of strokes are ischaemic strokes.vi

Controlling the risks

There are many risk factors for strokes, such as age, diet, education, exercise, smoking, alcohol consumption, stress, diabetes, hypertension and cardiovascular disease. i For patients who are more at risk of having a stroke, periodontitis is also a concern as it heightens the risk: there is a higher prevalence rate and a lower survival rate of strokes in patients with periodontal disease compared to those with gingvitis.

Periodontitis causes inflammation which affects the supporting structures of the teeth, including the gingivae, alveolar bone and periodontal ligament.vii Bleeding of the gingivae can be common, leading to the infectious bacteria responsible for the disease entering the bloodstream. The bacteria can also reach the circulatory system through eating, chewing and toothbrushing.

The presence of infectious bacteria in the bloodstream causes the body to react, leading to a rise in C-Reactive proteins and IL-6 that inflame the blood vessels and reduce the blood flow to the brain.iii These inflammatory markers are indicators for an increased stroke risk and are also identified as biomarkers of periodontitis.vii A consistent and effective oral hygiene routine can prevent periodontitis, minimising the risk of inflammation in the bloodstream.

Post-stroke worries

In addition to being a risk factor for strokes, periodontitis prevalence can also increase for patients who have had a stroke. There are 1.3 million stroke survivors in the UK, and many have poor oral hygiene.ii After a stroke, neurons begin to die within minutes when the oxygen supply is cut off, leading to brain damage and the subsequent impairment of certain bodily functions like movement, memory and speech.

Disability in the face, hands and arms can prevent stroke patients from effectively brushing their teeth. This can lead to oral health neglect, which is why support in their oral hygiene routine is needed to protect them from further complications. Moreover, inflammation may lead to stroke recurrence and less favourable outcomes; preventing gingival disease or periodontitis can help reduce this likelihood. Stroke survivors can also develop dysphagia. The survivors develop dysphagia; the reduced ability to swallow increases the risk of bacterial colonisation in the oral cavity, with saliva or bolus lingering in the oral cavity.iv Infection from these particles can lead to aspiration pneumonia, so maintaining a consistent oral hygiene routine can reduce the presence of harmful bacteria and prevent further health complications.iv

A suitable solution

An effective and reliable interdental brush can protect the teeth and gingivae from disease. The FLEXI series of interdental brushes, from TANDEX, includes 11 different sizes for optimal access. Able to clean the tooth surface and massage the gums, using FLEXI is an effective way to reduce the risk of infection. With a flexible handle and a brush that can be shaped for user preference, this is an interdental brush for comfort. Use with PREVENT Gel, from TANDEX, for an antibacterial boost and a fluoride flourish.

Chronic exposure to common infections contributes to stroke risk. Preventing oral diseases among those vulnerable to strokes can better protect them, maintaining their quality of life. Make a difference today.

For more information on Tandex’s range of products, visit https://tandex.dk/ Our products are also available from CTS Dental Supplies https:// www.cts-dental.com/ n

References available upon request

ABOUT THE AUTHOR

Jacob Watwood on behalf of Tandex.

Award Winning

Patented Technology

A clinically proven medical device that outperforms all other leading sensitivity toothpastes.* BioMin F provides 12-hour protection with slow-release fluoride and reacts to changes in oral pH by releasing minerals that rapidly neutralise acidity.

Protection against extrinsic and intrinsic causes of tooth wear

Tooth wear is becoming a major concern in the UK, and it’s widely believed that 77% of the UK population show some evidence of wear,i so it’s vital that we understand the risks when it comes to the causes of wear and in particular the part that excess sugar can play.

New research from the Oral Health Foundation has revealed the current sugar consumption habits in the UK. Describing the results as “alarming”, the study found that 84% of the population has at least one sugary snack per day, with 79% admitting to eating at least three per day.ii

As we know, high sugar consumption can have a significant impact on oral health. Clinicians must feel confident in their knowledge of sugar and its impact in order to better help patients manage their sugar consumption and mitigate its effects.

Sugary foods and acid attacks

The government recommends that no more than 5% of a person’s calories should come from free sugars. However, UK research suggests that this number is commonly between 9% and 12.5%.iii Free sugars can be found in a number of foods and drinks including biscuits, cakes, pastries, yogurts, jam, sweets, chocolate, fruit juice, soft drinks, and alcoholic drinks.

For adults, sugary soft drinks and alcoholic drinks contribute the most to free sugar intake. In an effort to combat this, the soft drinks industry levy was introduced across the UK, which taxes drinks containing added sugar.iv Its aim was to encourage companies to reduce the amount of sugar in their drinks, and to incentivise customers to avoid soft drinks or choose sugar-free alternatives. Since it was introduced, it is thought that the levy has prevented over 5,000 cases of obesity annually among year six girls,v and that fewer children have required their teeth to be extracted too.vi

Consuming sweet and acidic foods increases the risk of dental erosion, a leading cause of caries. This is one of the most common diseases worldwide, and is a leading cause of tooth loss, second only to gum disease. As such, it is vital to prevent erosion, and ensure patients are armed with the tools they need to maintain their oral health.

Medical conditions

Sugar is not the only cause of tooth wear. Some medical conditions may mean that patients are more susceptible too.

Gastroesophageal reflux disorder (GERD), for example, causes the reflux of stomach acid into the oesophagus. It is recognised as a possible cause of intrinsic chemical tooth wear.vii GERD can be particularly damaging to the teeth at night. Acid-neutralising saliva production is slower while asleep, allowing acid to stay in the mouth for longer.viii It’s important for clinicians to offer their patients tailored advice to help manage this, and protect their teeth against high acidity.

Eating disorders can also have an impact on oral health, with 89% of people with bulimia showing signs in the mouth. Stomach acids in the mouth from vomiting can also lead to tooth wear and enamel thinning. Further damage can be caused if patients brush their teeth immediately afterwards, removing softened enamel. ix It is important to approach patients showing these signs sensitively, and offer tailored advice. For example, recommend rinsing the mouth with water or mouthwash, and not brushing their teeth for an hour after vomiting.

Strengthening the teeth

As mentioned, dental erosion can have a huge impact on dental health, potentially leading to caries, and even tooth loss. As such, it’s important to recommend

Calling all dentists! Want samples or a practice visit? Speak to our UK dealers, Trycare on 01274 88 55 44 or email: dental@trycare.co.uk, or CTS on 01737 765400 or email: sales@cts-dental.com

To buy BioMin F, BioMin C or BioMin F for Kids go to: https://www.upbeatcare.co.uk/biominf-toothpaste-kids-50g.html https://www.cts-dental.com/oral-hygiene/toothpaste/other/biomin-f-strawb-childrens-tpaste-37.5ml https://growingsmiles.co.uk/shop/biominf-toothpaste-armour-teeth/

patients a solution which helps to prevent tooth wear and replace lost mineral ions to the tooth surface. BioMin® F toothpaste is an innovative solution, helping to combat acid attacks. BioMin® contains <600ppm fluoride which forms a fluorapatite layer. This creates an acid resistant shield over the tooth surface providing superior protection. It is formulated with a revolutionary bioactive material containing calcium, phosphate and fluoride ions that bond to the tooth and penetrates the dentinal tubules, slowly releasing minerals over the course of 12 hours, strengthening and protecting the tooth enamel. The fluorapatite layer that is formed is more acid resistant than hydroxyapatite, the tooth’s natural mineral, dissolving only when salivary pH dips below 4.5, but even below this as the bioactive glass breaks down additional fluoride is released reforming the protective layer when it is needed most.

Careful consideration must be given when recommending dental products to patients with various different needs. There are a wide range of intrinsic and extrinsic factors which may increase a patient’s risk of tooth wear and, even though government interventions like the soft drinks industry levy are having a notable impact on public health, tooth wear remains a key concern within UK dentistry. As such, it is vital that patients are using products which make prevention a priority.

For more information about BioMin®, and the innovative range of toothpastes, please visit www. biomin.co.uk, or email marketing@biomin.co.uk. n

References available upon request

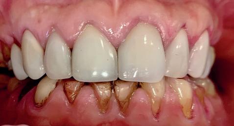
Kitting up with Curaden

Owing to the length of time that an orthodontic treatment takes to be successful, it is a major investment for the patient’s oral health and therefore needs to be appropriately protected for its success. Whilst ideal for managing malocclusions and realigning the teeth, wearing braces can negatively affect the daily oral hygiene routine.

As braces comprise brackets and wires that go over the teeth, the available surface area for food and plaque to stick to is substantially increased. The physical barrier of the wire also limits the success of interdental cleaning, with trapped food particles left undisturbed. Braces therefore increase the risk of gingival diseases and caries if not correctly looked after. When it is time for the braces to come off, it is important that the realigned teeth are healthy and strong, and the enamel has not been permanently damaged, so that the long treatment time is better justified. To ensure this, specialist products are needed.

Our mission

With over 60 years of experience innovating the dental industry, Curaden is focused on quality in all their products and services, ensuring that practitioners and patients are well equipped to lead happier, healthier lives. Their Curaprox product range can tackle anything from halitosis to implant care or sensitive teeth.

For orthodontic patients, the Ortho Kit from Curaprox is essential for the maintenance of a successful oral hygiene routine and for reducing the risk of caries or gingival diseases. It features numerous products designed to protect the oral cavity and promote consistency and comfort in the daily hygiene routine.

For brushing around the braces, the Ortho Kit contains a CS 5460 Ultrasoft Toothbrush, which takes its name from the 5,460 densely packed, ultra-fine Curen filaments on the

brush head. This density gives the CS 5460 optimal cleaning power, eliminating plaque around the braces whilst also being comfortable on the teeth and gingivae.

Also included is the CS 1006 Single Sulcular Soft brush, designed to perfectly fit the anatomy of the gumline. The specialised shape makes the CS 1006 invaluable for cleaning around braces and implants, with its rounded cut of Curen filaments able to thoroughly disrupt trapped particles.

Interdental solutions

Braces can make interdental cleaning more difficult, as the wire obstructs the vertical pathway of string floss or interdental brushes. It is also crucial not to damage the wire or brackets with any vigorous movements, as this can mean waiting for an appointment and an extended treatment time.

The Ortho Kit from Curaprox comes with several interdental brushes that are ideal for the safe and successful cleaning around the brace wire. The CPS 14 Regular can help minimise the risk of oral diseases developing from trapped particles between the teeth. Being able to adjust an interdental brush’s position with a quick in-and-out over the wire makes it a more agreeable alternative to string flossing, which is immensely difficult to use when accessing the space between the wire and the gingiva. Compliance rates may therefore increase with interdental brushes, with patients able to maintain an effective and consistent oral hygiene routine.

Pain relief

Orthodontic treatment isn’t always comfortable, with discomfort and irritation caused by the tightness of the wires across the lengthy process.

To alleviate this, the Ortho Kit includes ortho wax, which can be easily applied to sensitive areas. Made from a natural and non-toxic formula, the ortho wax adheres well to the

brackets and provides enough relief for the patient to continue in their day.

As an aid for patients now faced with numerous hygiene products, the Ortho Kit includes a brochure detailing how to use each one to ensure compliance and cleaning success. The kit also comes in a travel bag so patients can keep everything together when on the move.

One to recommend

Curaden continues to empower dental professions by providing first-class solutions and innovative products with which patients can optimise their oral health. Recommendations like the Ortho Kit help strengthen the bridge between health and happiness: by keeping braces clean, orthodontic patients can avoid caries and periodontitis and finish their treatment with beautiful, strong teeth. For more information, please visit www.curaprox. co.uk and www.curaden.co.uk n

Dental triage – making the right call

Every day, frontline staff are required to ensure patients in need of an emergency appointment receive appropriate attention. Patients experiencing acute problems, like dental trauma, severe dental or facial pain, may require immediate treatment from a dental professional. However, prioritising appointments according to the urgency of cases requires a great level of skill and empowerment, which is not always present within the frontline team.

Reception staff, practice managers and/or dental nurses are often responsible for the diary. They have a huge effect on the smooth running of a practice, and are tasked with ensuring patients are greeted appropriately, and that their expectations are met, whether in urgent need of attention or a routine check-up. Getting the balance right can be tricky. Although recommended to assist in effectively prioritising care, there is currently no requirement for members of the wider dental team to undertake any formal training in triage. As well as potentially risking the safety of patients,i this can lead to frustration – for patients and the team alike.

From Covid and beyond

The recent Covid-19 pandemic forced the introduction of different processes for allocating emergency appointments, allowing for the remote triaging of patients. New technology and innovative workflows offered clinicians new opportunities for patient communication, and new approaches to patient prioritisation.ii Empowering the frontline dental team with flowcharts and guidelines during Covid highlighted the benefits of effective triaging in the management of emergency patients across the country.

The need for triage is no less important postCovid. In 2021, it was recognised that the backlog of treatment delayed during the pandemic would lead to a ‘tsunami’ of urgent dental problems.iii Indeed, in many areas, patient need currently outstrips provision, which reinforces the importance of adopting effective triaging processes across the dental team. With appropriate training, frontline staff can contribute more formally to the process of prioritising the right patients.

Empowering the team

Receptionists, dental nurses and practice managers have an important role to play in urgent dental care. The addition of multiple unscheduled appointments to the diary can add a great deal of

added strain to a dental professional’s working day. Research has shown that time pressure is one of the major causes of stress for dentists,iv and a common cause of conflict between clinicians and reception staff.v Emergency appointments can be short and are often double-booked, with limited time for the dentist to successfully diagnose and provide treatment for these patients.

However, frontline staff also feel the pressure. In a pre-Covid study, a number of dental nurses reported they were under strict instructions to ensure all patients were allocated non-scheduled appointments, regardless of the number of appointments already in the diary.vi

Empowering staff has long been shown to improve engagement levels and performancevii and a study on health care workers commissioned during Covid showed that empowering frontline staff also reduced stress levels and enhanced communication.viii To truly empower staff, they must be provided with the right knowledge and skills.

From triple A to complex protocols

With the appropriate training, tools and guidance, experienced dental nurses and reception staff can safely follow decision-support flowcharts to determine the urgency of a patient’s problem and triage accordingly. We already know this works. During the pandemic, guidelines and flowcharts produced by NHS England and Scottish Dental Clinical Effectiveness Programme (SDCEP), for example, allowed many patients to be successfully managed remotely by the ‘AAA’ approach of advice, analgesia and antibiotics.

Patients may present as an emergency patient for a variety of reasons, from trauma, severe pain, or orofacial swelling, to a lost crown or filling. These problems have a range of approaches and complexities, and the time required as well as the urgency of treatment for those problems can vary significantly. By following appropriate triage protocols, more information can be gathered from patients to treat them within the correct timeframe, with the right appointment length for their condition.

All members of the dental team should receive formal training to assess and interpret symptoms, assign urgency to clinical need, and provide simple, practical advice regarding oral hygiene and analgesia. For example, Orajel™ is a great oral analgesic to recommend to patients needing rapid relief from dental pain. Patients can apply Orajel™

directly using a clean finger or swab up to four times daily, giving them targeted control over pain management. This improves patient comfort while they wait for an appointment to see the dentist, relieving some of the pressure on staff.

Implementation of a formal dental triage system can help frontline staff manage diary pressures and patient expectations. Awareness of what constitutes a true emergency, and how long an emergency appointment is likely to last makes more efficient use of surgery time. Gaining the confidence and skills to improve patient comfort, and contribute to positive outcomes, can lead to a happier, more empowered team.

For more information, please visit www.orajel.co.uk

References

i. Kirton, J., Thompson, W., Pearce, M. et al. Ability of the wider dental team to triage patients with acute conditions: a qualitative study. Br Dent J 228, 103–107 (2020). https://doi.org/10.1038/s41415-020-1199-1

ii. Ammar O. The pandemic’s catalytic effects on innovation. General Dental Council. March 2021. Available at: https://www.gdc-uk.org/news-blogs/ blog/detail/blogs/2021/03/22/the-pandemic-scatalytic-effects-on-innovation Accessed July 2024

iii. Witton, R., Plessas, A., Wheat, H. et al. The future of dentistry post-COVID-19: perspectives from Urgent Dental Care centre staff in England. Br Dent J (2021). https://doi.org/10.1038/s41415-021-3405-1

iv. Myers H L, Myers L B. ‘It’s difficult being a dentist’: stress and health in the general dental practitioner. 89–93.

v. Eisner M, Britten N. What do general practice receptionists think and feel about their work? Br J Gen Pract 1999; 49: 103–106

vi. Kirton J, Thompson W, Pearce M. et al. Ability of the wider dental team to triage patients with acute conditions: a qualitative study. Br Dent J; 228: 103–107.

vii. Employee engagement and motivation. The Chartered Institute of Personnel and Development. July 2024. Available at: https:// www.cipd.org/uk/knowledge/factsheets/ engagement-factsheet/. Accessed July 2024

viii. Alrige M, Alshahrani F, Alharbi A, Aljuhani N, Aldini N. The Effects of Empowerment on Health Care Worker Performance During the COVID-19 Pandemic in Saudi Arabia. Qual Manag Health Care. 2022 Jul-Sep 01;31(3):143-148. doi: 10.1097/ QMH.0000000000000337. Epub 2022 Apr 4. PMID: 35383712; PMCID: PMC9208740. n

Optimise your decontamination processes and safety in 2025

With the festivities now a somewhat distant memory, normality is returning to life inside and outside of dentistry. However, the New Year presents a good opportunity to reflect on the various daily processes in the dental practice and ensure that high standards are maintained throughout. Decontamination workflows should be among those reviewed – it never hurts to double down on health and safety protocols for patients and staff alike.

Best practice decontamination recap

All essential requirements and best practice guidelines for infection control workflows in dentistry are set by HTM 01-05 and SDCEP. Dental practices are expected to have a policy in place that details how they are moving beyond essential requirements and towards best practice standards. At present, there is no deadline for attaining best practice, given that some of the recommendations will be more challenging for some practices to achieve than others – especially smaller practices with less available space.

The plan to meet best practice should be realistic for the business, outlining key steps that would need to be taken to optimise processes. In England and Wales, for example, these may include the purchase and implementation of equipment, or changes to the design of the practice. It should cover three main areas of the practice: the instrument cleaning and sterilisation workflow, the decontamination environment and the storage of reprocessed instruments.

The first step towards best practice will be largely dependent on the physical space available within the practice. Establishing a completely separate and dedicated room for decontamination minimises the risk of re-contaminating instruments or infecting staff/patients via aerosol transmission. The usual dirty-to-clean workflow should be employed.

Other best practice standards are simple to achieve – just implement a washer disinfector within your instrument decontamination process. Why is this best practice? Because the washer disinfector offers a validated, automated and repeatable way to clean instruments prior to sterilisation. The variance in and subjectivity of manual washing are eliminated, and the risk of needle-stick injuries is also reduced for staff due to less handling of sharps. Washer disinfectors are already mandatory in Scotland for all these reasons.

With regards to storing instruments once reprocessed, finding an area separate from the clinical treatment area is the goal. This also further reduces the risk of instrument re-contamination.

Overcome barriers

There are a few potential barriers to best practice that may be preventing some dental teams from optimising their processes. The first and most obvious is the perceived cost of making changes or purchasing equipment. However, this should be considered an investment in the quality of patient care delivered, as well as in the business. Not only does complying with best practice ensure the highest safety standards for everyone frequenting the premises, but it will also future-proof your workflows – no deadline exists yet, but it’s not a stretch to predict that there will be one in the future.

This is especially true when it comes to introducing new equipment like a washer disinfector. Plus, it is simple to maximise your return on investment. All you need to do is choose a robust machine that has been built to last by a reputable manufacturer. From here, it’s important to look after the equipment with the necessary in-practice testing and maintenance, as well as annual servicing and validation completed by an appropriately trained external professional.

The entire process from purchasing a reliable washer disinfector to installing and maintaining it can be made simple by working with a leading

expert in decontamination such as Eschmann. All our equipment is highly effective, reliable and robust, and comes with exceptional technical support and customer service from a team of 50+ Eschmann trained engineers nationwide. The Care & Cover servicing package also affords access to unlimited breakdown cover, Annual Validation and Pressure Vessel Certification, unlimited Eschmann parts and labour. In addition, we offer enhanced CPD user training and can advise on achieving best practice.

A journey

No matter where your practice is in its journey towards best practice, it is important that you have a plan in place to achieve it in the future. This might involve bigger changes for some businesses than others, but is achievable for all with the right preparation and mindset.

Health and safety is already a priority in UK dental practices. With the additional achievement of best practice, patients and staff alike can gain confidence in the quality of service you deliver.

Want to find out more about achieving best practice in decontamination? Contact Eschmann at www.eschmann.co.uk or by calling 01903 753322 n

ABOUT THE AUTHOR

Design you can feel

The subject of design is an important one for the modern dental practice. Whether you’re starting from scratch or refreshing an existing business, there are many different aspects to think about. Importantly, great design isn’t just about making the space functional –it’s about making people feel something. The construction, layout and aesthetic of the space should all come together to evoke emotion and subconsciously guide both staff and patients on a seamless journey through the practice. This is only achieved with a multisensory approach to design; one that accentuates cognition, movement, relaxation and communication.

A conscious process

As such, the design of your practice must be an intentional and well-thought-out process. Focusing on single elements, pieces of equipment or areas of the building can lead to a disjointed practice experience. Instead, you need to tell a story, ensuring a coherent narrative from the front desk right through to the waiting room and the surgery.

The concept of conscious design is, therefore, important. It promotes the idea of intentionally designing a space with awareness of the people, communities and ecosystems involved. For dental practices, this means creating an environment tailored primarily to patients, but also being mindful of the professional team. It allows for future development of the environment as the business evolves, without compromising the integrity of the original look and feel. There is also an argument to be made for enhanced sustainability that it facilitates, prompting principals to be more considered of their choices for longevity of their design.

A sight for sore eyes

When it comes to pleasing the senses, sight often comes to mind first. It is also one of the easier aspects to accomplish – a visually stunning practice will also create an excellent first impression. Everything from the colour scheme to the layout of the rooms and the lighting has a part to play. Taking the latter as an example, both natural and artificial light helps to define the atmosphere and function of a space. It is essential to strike a balance between ambience and functionality throughout the practice, with softer and warmer lighting making patients feel calm and at ease, while brighter and cooler lighting will be needed in clinical areas to support the delivery of high-quality treatment.

Other ways of improving the interior aesthetic include using artwork. Affording secondary benefits, the strategic placement of art has also been shown to help reduce cortisol levels and, therefore, lower anxiety in patients.

The two Ts

Two other sensory factors relevant to the dental practice are touch and temperature. These incorporate everything that a person will physically experience when in the practice. Consequently, the initial design process should consider the materials being used for anything that a patient, in particular, will come into contact with. Think door handles, the reception desk, waiting room chairs and the dental chair as just a few of the major touch points as a patient moves through the premises. It’s just as important to consider the temperature by incorporating the relevant heating or air conditioning systems into the building design.

Mechanical stimuli

When looking further into how the practice can influence how patients feel, another sense modality may come under the spotlight – mechanoreception. For principals who are passionate about optimising even the smallest of details for a truly elevated patient experience, this is about improving how a patient detects vibration, pressure or other mechanical stimuli during their appointment. This is most likely associated with the dental chair, making it important to choose equipment that moves smoothly for optimal patient comfort.

When searching for a suitable dental chair, it can be hugely beneficial to work with experts that completely understand the various principals of good design and how to apply them to a reallife dental practice. RPA Dental, for example, has decades of experience in designing, installing and maintaining dental practices of all shapes and sizes. The team supply an array of globally leading dental chairs, including Stern Weber, Castellini and KaVo solutions, offering dentists knowledge, advice and guidance that is second-to-none. RPA Dental will help make your patients feel comfortable, content and captivated as soon as they step into your practice, with astonishing attention to detail.

More than a pretty picture

How your practice looks is just the start. Whether refreshing an existing space or building a totally new practice, design is the first step to bringing your vision to life. It involves so much more than how the environment will look – it determines how your patients will feel and keep them coming back year after year. Making conscious design decisions on everything that will impact any of the senses is essential for the very best results.

For more detail about the solutions and services available from RPA Dental, please visit www.dental-equipment.co.uk, call 08000 933 975 or email info@rpadental.net n

ABOUT THE AUTHOR

Using digital communication tools to improve patient care

Recent technological advancements have enabled dental practices to integrate digital consultation and communication tools, offering new opportunities for patient care while improving accessibility and reach. A strong digital presence can engage patients by sharing personalised educational materials, helping them take an active role in their oral health. Additionally, healthcare providers can use mobile tools to collect data and improve service delivery, enhancing overall care quality.

Although many dentists have some concerns, nearly 70% of those surveyed see significant potential—both clinically and financially—in offering strategically planned remote services.

With a dizzying range of options now available, it may be helpful to go back to basics, assessing how patients engage with information, how innovative communication methods can benefit practices, and how the large amounts of data generated from increased digital interaction can be safeguarded.

Remote services: what are they?

Synchronous technologies, such as the phone, live video, or instant messaging, enable realtime, two-way conversations between patients and providers. Asynchronous tools, such as secure in-app data transfers, allow for the exchange of consent forms, letters, and health information. Together, these systems create a comprehensive communication hub for patients.

Teledentistry, originally defined as using digital technology to triage urgent cases, and provide education, advice, and provisional diagnoses, has evolved into a broader field, often overlapping with mobile health (mHealth).

Why offer digital services to patients?

Traditional methods of offering remote advice, such as telephone, email, or letters, remain highly important to be fully accessible, but including alternative digital communication tools offers a number of significant advantages.

In the UK, 94% of adults own a smartphone, with the highest usage among those aged 24 to 34. Patients increasingly use this technology to access a range of services, including medical care. Tools range from fitness, sleep, and heartrate trackers or health-related alerts to selfassessment tools and clinician appointment booking services. Additionally, more than 50 million people worldwide use app-based selftriage, specifically to address health concerns. Offering digital communication platforms enables patients to obtain services in ways that are accessible and convenient for them. An effective suite of communication tools can help build a stronger patient base by providing flexible ways to access dental care. Digitally supported consultations can be easily recorded and integrated into relevant patient data records and other health information. Easy access to these records as well as clear records of other communications between clinicians and dental professionals promotes safety by saving an audit trail — for example, proving consent was appropriately obtained.

The benefits of mHealth tools became particularly evident during the COVID-19 pandemic, and they have evolved to offer further opportunities to enhance the patient experience through remote clinical care.

Digital communication systems offer opportunities to disseminate general or personalised educational material and information about oral health, hygiene practices, and treatment options. Practices can also provide special alerts, reminders and prompts, helping patients keep up with appointments and treatment advice.

Securely implementing video consultations fosters strong patient relationships and provides clear records of key discussions. Virtual services can also reduce patient anxiety and build trust by familiarising them with the dental practice, its personnel, and its services.

Safety and security

While many dentists embrace the advantages of offering digital remote services, significant concerns remain among dental professionals. In the survey cited above, approximately 50-70% of respondents expressed worries about the security of patient data and the challenges associated with obtaining informed consent.i This underscores the need for robust data protection measures and protocols to ensure patient safety in the context of teledentistry.

Connect&Consult is a secure, cloud-based integrated feature within the AeronaDental Patient Portal solution. Not only does the feature enable detailed consultation via audiovisual technology, it has consent management features, and manages, edits, and stores clinical notes, appointment

bookings and payments. Treatment planning for video consultations is also managed, edited, and stored as part of AeronaDental’s practice management software. Other comprehensive patient communication tools are integrated, offering safety, convenience and security, creating a seamless patient journey and an automated workflow for your clinic.

Fostering a digital relationship with your patients enables greater access to services, expands your reach, and provides your patients with peace of mind. Offering comprehensive patient communication tools not only supports clinical care but also meets the growing expectations of healthcare in the modern era.

For more information, please visit aerona.com n

ABOUT THE AUTHOR

Mark Garner, General Manager, Areona Dental.

Embracing advanced technology for exceptional periodontal care

Faye Donald reveals how dental professionals can elevate periodontal care using the innovative PIEZON® technology and AIRFLOW PLUS Powder for minimally invasive, patient-focused treatment.

The aim of this article is to explore the innovative technologies behind the EMS PIEZON® system and AIRFLOW PLUS Powder, highlighting their role in delivering minimally invasive, patient-centred periodontal care

On completing this Enhanced CPD session, the reader will:

• Gain insight into the scientific principles and key components of the PIEZON ® system, including “No Pain” technology

• Learn about the clinical applications and benefits of the AIRFLOW PLUS Powder in biofilm and stain management

• Develop knowledge of the protocols for optimising outcomes when using PIEZON ® and AIRFLOW technologies, including power settings, tip selection and technique

• Explore how these tools enable minimally invasive care for challenging cases, including implants, restorations, and patients with high clinical needs

• Recognise the impact of these technologies on improving patient comfort, preserving tissues, and reducing clinician strain.

Learning Outcomes: A,C,D

The EMS PIEZON ® system, combined with AIRFLOW PLUS Powder, has ushered in a new era of periodontal care, defined by precision, patient focus, and minimally invasive treatment. At its core, the system integrates three essential components: the piezoceramic handpiece; the PIEZON ® PS Instrument; and the innovative “No Pain” dynamic feedback module.

Together, they offer efficiency and precision in biofilm and calculus management:

1. Piezoceramic handpiece: generates tiny linear vibrations providing gentle and effective calculus removal without harming tooth surfaces or compromising patient comfort

2. PIEZON ® PS Instrument: this slim, versatile tip operates at speeds of 30,000 strokes per second, enabling deep subgingival access (up to 10mm) with minimal effort. Its design aids access and ensures maximum efficacy while preserving surrounding tissues

3. Dynamic feedback module: by adjusting power output 125 times per second based on calculus consistency, this module enhances treatment precision, increases patient comfort and reduces the risk of over-treatment.

For optimal performance, the three elements of the “No Pain” trilogy must work in harmony. When used correctly, calculus is removed through the piezoelectric effect, biofilm is disrupted by cavitation (as water meets the vibrating tip, collapsing bubbles release energy that destroys bacterial cell walls), and toxins are flushed from the pocket via acoustic turbulence or lavage. This process ensures maximum comfort for the patient while prioritising tissue preservation.

Protocols for optimised outcomes

Mastering the PIEZON® and AIRFLOW technologies requires a thorough understanding of their capabilities

and proper application. There is a key difference between supra- and subgingival calculus in terms of mineralisation; subgingival calculus is harder to remove due to its mineralisation and hidden location. Effective removal depends on carefully considering factors such as power settings, tip selection, angulation, adaptation, position, pressure, and movement. Mastering the use of PIEZON® technology requires time, practice, and a commitment to developing these skills.

Key protocols include but are not limited to:

• Power and water settings: begin with a low power setting (no more than 3) to maintain minimal invasiveness, adjusting as needed. Ensure ample water flow to cool the instrument, enhance visibility, and support pathogen elimination through cavitation (a flow between 70% and 100% is recommended)

• Tip selection and adaptation: the PIEZON ® PS tip is suitable for most cases (95%), while additional tips like PSL, PSR, and PI Max

Clinical case study

Patient profile

(more on this below) are designed for specific clinical scenarios. Proper adaptation ensures effective scaling with minimal discomfort

• Gentle pressure and slow movement: light pressure (30 to 50 micrograms) and deliberate, overlapping strokes are essential for optimal outcomes. Allow the instrument to perform the work without excessive force.

The luxury of having the technology do the heavy work limits musculoskeletal strain on the clinician and improves clinical outcomes for the patient. Thanks to its slender design, perfectly linear movements, and intuitive technology, patients treated with the PS Instrument experience less perceived pain, less bleeding, reduced post-operative discomfort, and greater preservation of tissues and the epithelium.

Precision solutions for restorations and implants

Building on the protocols for optimised outcomes, the PIEZON® PI Max Instrument offers a solution for

A 54-year-old female with a history of alcohol dependency presented with a heavily restored dentition, including porcelain veneers in the upper arch, along with eroded and fractured teeth in the lower arch. She exhibited sensitive teeth throughout, periodontal pockets with subgingival calculus, and general staining.

Treatment approach

The patient required non-surgical periodontal therapy (NSPT) to stabilise periodontal health before restorative work. Using the AIRFLOW PLUS Powder for biofilm and stain management, and the PIEZON® PS and PI Max tips for subgingival debridement, treatment was performed with an emphasis on tissue preservation. The patient’s nervous disposition necessitated a gentle and empathetic approach.

Oucome

All appointments were completed without local anaesthetic, and the patient responded positively to the treatment. Periodontal health was stabilised allowing full-arch reconstruction to proceed. The patient is now a regular attendee for maintenance appointments.

To complete the questions and gain one hour of Enhanced CPD, visit https://the-probe.co.uk/courses/course_category/brush-uplog in and find this course under the title ‘Embracing advanced technology for exceptional periodontal care’

managing calculus around challenging areas such as implants, crowns, veneers, composite bonds and orthodontic appliances. Made from carbonreinforced PEEK, the PI Max combines flexibility, durability, and a slim design to access tight spaces without damaging implants or restorations.

Operating up to 3mm subgingivally, the PI Max Instrument uses the same "No Pain" system, warm water, and controlled linear movements as the PIEZON® PS Instrument. This makes it highly effective for removing calculus in areas where traditional biofilm disruption techniques may struggle, such as narrow gingival necks or around intricate restorations. For clinicians, this tool enhances precision and accessibility, delivering excellent results with minimal effort.

AIRFLOW PLUS Powder: next-gen biofilm care

AIRFLOW PLUS Powder is central to tissue-sparing, pain-free Guided Biofilm Therapy (GBT), offering scientifically and clinically optimised properties for effective biofilm management. Its unique formulation ensures both efficacy and safety, supporting a wide range of clinical applications.

The ultrafine 14-micron powder effectively disrupts biofilm, stains and young calculus within a single session, all while avoiding tissue damage. This efficiency not only reduces treatment time but also enhances patient comfort and clinical outcomes.

The primary ingredients – erythritol, a natural polyol, and chlorhexidine, a preservative – further enhance its anti-cariogenic and bacteriostatic properties. Completely soluble, the powder is safe for most and suitable for a variety of patient needs, including those who are vegan, gluten-intolerant, diabetic, or following low-sodium diets.

CPD Questions

1. What is the primary function of the PIEZON® dynamic feedback module?

a) To reduce water consumption during procedures

b) To regulate power output based on calculus consistency

c) To increase the speed of the PS Instrument

d) To minimise noise during treatments

2. Which characteristic of AIRFLOW PLUS Powder ensures it is minimally invasive?

a) Its particle size of 14 microns

b) Its high water solubility

c) Its use of chlorhexidine as a preservative

d) Its gluten-free formulation

3. What is the maximum subgingival depth the PIEZON® PI Max Instrument can reach?

a) 5mm

b) 8mm

c) 3mm

d) 10mm

4. What is the recommended power setting range to start using the PIEZON® system for minimal invasiveness?

a) 3 or lower

b) 5 to 7

c) 7 to 9

d) Any setting below 10

5. What material is the PIEZON® PI Max Instrument made from, and why is it suitable for use around implants and restorations?

a) Stainless steel – for its durability and strength

b) Titanium – to ensure longevity and resistance to wear

c) Composite resin – for its lightweight properties

d) Carbon-reinforced PEEK – for flexibility and surface protection

Innovating periodontal treatment

The PIEZON® system and AIRFLOW PLUS Powder exemplify the future of minimally invasive dentistry. By adhering to the principles of GBT and employing the right techniques, dental professionals can provide exceptional care while preserving the natural structures of the teeth and supporting tissues. For more information and access to clinical research on these technologies, visit swissdentalacademyonline.com.n

FAYE DONALD

Encouraging skill development to improve patient experiences

There has been much discussion recently about expanding the roles of dental care professionals. These changes enable them to more effectively utilise their full scope of practice, and alleviate the workload of dentists to enable patients to receive the highest possible standards of care. As of July 2024, there are 10,051 dental hygienists, 6,690 dental therapists, and 64,968 dental nurses registered with the General Dental Council in the UK. By enabling these vital members of the team to work to their full capacity, expand their skillset, and lead evermore fulfilling careers, the dental practice can run ever more smoothly, resulting in a better experience for all patients.

New powers for dental hygienists and therapists

Previously, dental hygienists and therapists were able to administer medicines such as local anaesthetic and high-strength fluoride, but only under the prescription of a dentist. In this workflow, they were required to leave their patient to interrupt a dentist’s work to ask them to sign a prescription to enable them to continue with their own patient care. Recent changes, which came into effect in June 2024, enable dental therapists and hygienists to supply specific medications on their own. This legislative change aims to make the process more efficient for everybody, including both the practice team and their patients. Overwhelming support was received when public consultations ran in 2023, with 97% of respondents approving of these new powers. When dental

hygienists and therapists with the appropriate training use their new powers, patients will receive the primary care they need more quickly and simply, enabling dental hygienists and therapists to provide pain relief and fluoride without approval from a dentist.

However, even without these new interventions, there are a number of ways that dental practices can encourage their dental hygienists and therapists to expand their skillset, and utilise their full scope of practice. For example, dental therapists can provide restorations, carry out pulpotomies, and extract teeth, and both dental hygienists and therapists can develop additional skills to enable them to provide tooth whitening under a dentist’s prescription, administer inhalation sedation, and remove sutures.

Encourage your dental nurses’ career development

It can also be extremely valuable to encourage the career development of the dental nurses in your team. By motivating your dental nurses to develop additional skills within their scope of practice, you not only provide them new career opportunities, you also help the practice to run more smoothly, freeing up your time, and that of your dental team to enable better patient care.

Just a few of the additional skills dental nurses might like to develop include oral health education, assisting in the treatment of patients who are under conscious sedation, patients with special needs, and orthodontic patients, and intra and extra oral photography. Further to this, dental nurses can undertake a range of other tasks under the prescription of another clinician –including taking radiographs.

The benefits of high-quality equipment

Using high-quality equipment makes expanding dental care professionals’ skillsets easier for the whole team. The latest models will have all of the features you and your team need to inspire confidence, and ensure that things go right the first time. When selecting an imaging system, for example, choose a system which offers highquality images, ease of use, and exceptional

patient comfort. It can also be incredibly useful to acquire your equipment from a team who truly understands you and your workflow.

Clark Dental has over 49 years of experience working with the dental profession, and is perfectly placed to ensure dental practices like yours receive the ideal equipment for them. Its wide range of dental imaging solutions includes the Axeos Extraoral Imaging System, the 2D/3D imaging system which can be flexibly adapted to suit the specific and evolving needs of your practice. Axeos is easy to use, to help the practice team to work more efficiently, reduce errors, and provide a comfortable patient experience. The EasyPad is intuitive to use with self-explanatory symbols, and the patient positioning and image assistant enables smart height adjustment, reducing waiting times for patients, and ensuring reproduceable image quality.

By encouraging additional training and skill development in your practice, you enable your dental team to achieve their potential and develop their careers, all whilst making the patient journey smoother and helping the practice to run more efficiently. Utilising high quality equipment will help the dental team to feel more confident in using their new skills, and will reduce the risk of errors in your practice.

For more information call Clark Dental on 01268 733 146, email info@clarkdental.co.uk or visit www.clarkdental.co.uk n

ABOUT THE AUTHOR

Stuart Clark, Managing Director of Clark Dental.
STUART CLARK

Choose interdental simplicity

Combatting plaque build-up along the gum line and in the interdental spaces can be a challenge for many patients. With Waterpik™ water flosser solutions, individuals can experience fantastic oral hygiene that leaves their dentition feeling fresh.

Waterpik™ provides a wide range of effective oral hygiene adjuncts, with each one uniquely tailored to support your patients’ needs. The Waterpik™ Cordless Advanced water flosser is one such example, approved by the Oral Health Foundation, and renowned amongst patients and clinicians for its potential to help transform an individual’s oral health.

Clinically proven to be up to 50% more effective than traditional dental floss,i patients can reduce the presence of plaque and food debris from the interproximal spaces with ease. For many individuals this can be an uncomfortable process when using other adjuncts, especially if they already have irritated gingival tissue and are not used to regular interdental cleaning. Understanding the benefits of interdental cleaning, many patients will readily jump at the chance to use an effective alternative to solutions other than dental floss or interdental brushes.ii

The Cordless Advanced water flosser simplifies this entire process. Patients need only aim the water flosser at the targeted site, and observe 99.9% removal of plaque biofilm after just 3 seconds of treatment.iii The burst of water is also gentle on the dentition and surrounding soft tissue, making it a pleasant experience.

For your convenience

By using a water flosser, patients can simultaneously massage and stimulate the gingival tissue which may improve circulation. This helps to keep gingival structures strong and healthy, an absolute must for all patients who have previously found it difficult to keep an oral hygiene routine, or for those with implants, crowns, bridges, and veneers.

The magnetic 4-hour rapid charging system means the Cordless Advanced can be ready to use every morning and evening, and the waterproof design allows patients to use it in the shower. It is perfect for travel and small bathrooms too, owing to a sleek and compact design.

Orthodontic considerations

Waterpik™ solutions are designed to bring simplicity to the everyday patient’s oral hygiene routine. For patients undergoing comprehensive or invasive dental care, such as orthodontic or dental implant treatments, it’s important to tailor their oral hygiene routines to their new-found needs.

When patients live with orthodontic appliances, these routines can be especially difficult. It is abundantly important to remove all plaque and debris that is stuck in the interdental spaces and the crevices of a fixed brace, which presents new challenges. It’s no surprise that the literature notes that orthodontic treatment with fixed appliances increases plaque accumulation and subsequent caries development,iv creating new oral health issues after what can be a long form of treatment. The specialised Orthodontic Tip, which is compatible with the Cordless Advanced and a range of other Waterpik™ solutions, offers effective cleansing

Rapid relief from toothache

Want to provide rapid relief for patients suffering with toothache? Recommend Orajel to relieve their pain whilst they wait for their appointment.

Toothache is a very common problem, affecting around 24% of adults in the UK.i Sufferers experience a constant pain in or around a tooth, which might be caused by issues like tooth decay, a dental abscess, a damaged filling, or a tooth fracture. It can be triggered by a range of stimuli – including cold drinks or food, sweet foods, biting down, feeling of pressure – and may not subside even once they are removed. Patients might experience a wide range of symptoms including sharp, throbbing, or constant pain, swelling and painful gingiva, a bad taste in the mouth (due to infection), and a fever or headache. Because toothache can have a variety of causes, its important for patients to attend the practice if they experience these symptoms, in case treatment is needed.

It’s important to establish the underlying cause of all dental pain, and to encourage patients with toothache to visit the practice when they are suffering with painful symptoms. However, they may not be able to attend the practice immediately so, in the meantime, it’s important to offer effective advice on pain management at home.

Targeted pain relief when it’s needed most

Often, clinicians may be tempted to provide systemic pain killers such as paracetamol and ibuprofen, but these medications can require up to 30 minutes to take effect.ii Orajel delivers rapid relief in less than two minutes, with its effects lasting for several hours.ii

Orajel is a dental pain relief gel, which works to target pain at the source, offering patients relief from tooth ache when they need it most. Applying a topical solution ensures that patients get pain relief in the right area.iii This also means that patients will still be able to clean around the area as normal, rather than avoiding the area when toothbrushing due to pain.

Unique formula for lasting toothache relief

The active ingredients in Orajel include benzocaine, a local anaesthetic which temporarily blocks the pain pathways along the nerves.iv This prevents the brain from receiving signals of pain at the treated site. Patients should apply Orajel to the painful area, and it will work quickly to offer lasting relief from pain.

At its full effect, Orajel lasts from 15-20 minutes, providing total numbness in the area its applied to.ii The effect will then persist at a reduced level for

around brackets, interdental spaces and along the gum line. In fact, it has been clinically proven to be up to three times as effective as dental floss for cleaning around a fixed brace, making it an exceptional option for those undergoing such care.v

Take the next step

“Brushing your teeth is not enough” is a sentiment that should be passed on to patients where appropriate, in order to support them in maintaining a healthy dentition. Almost half of all UK adults have some level of irreversible periodontitis,vi and in these cases plaque control is essential to minimise the progression of disease – for individuals without the disease, prevention is a must.

Waterpik™ solutions, including the Cordless Advanced water flosser, can be of benefit to many patients, no matter their oral health condition. Consider suggesting your patients find the water flosser that is right for them, and discover clinical transformations when they return to the practice.

For more information on WaterpikTM water flosser products visit www.waterpik.co.uk. WaterpikTM products are available from Amazon, Costco UK, Argos, Boots and Tesco online and in stores across the UK and Ireland. n

several hours after use, delivering continued pain relief in the topical area. When necessary, advise that patients use Orajel several times per day to experience consistent pain relief.ii

Talking to patients about Orajel

It’s important to check any other medications that your patients are taking before you recommend Orajel, to ensure it can be used safely, and keep in mind that it should only be used on adults and children over the age of two years old. When used as directed, Orajel can provide effective pain relief, so it’s important to talk to patients about how best to use it, based on the type of pain they are experiencing.

For patients with a suspected cavity, recommend that they use a clean finger to apply a pea-sized amount of Orajel directly into the cavity, for use up to four times per day. For patients who are experiencing mouth ulcers or gingival pain, recommend that patients apply a thin layer of Orajel to the tender or painful areas of the mouth.

There are a range of options available to patients, depending on their unique needs. For relief of acute toothache, recommend Orajel Extra Strength, which contains 20% benzocaine, and for rapid toothache relief, recommend Orajel Dental Gel which contains 10% benzocaine. For patients with mouth ulcers or denture pain, suggest that patients use Orajel Mouth Gel which contains 10% benzocaine. Additionally, if patients are experiencing sensitivity, suggest Orajel Sensitivity ProShield toothpaste.

For more information, and to see the full range of Orajel products, please visit www.orajel.co.uk n

A song and a teddy bear: Every little helps to improve children’s proprioceptive senses and encourage brushing

Dental Therapist Victoria Wilson draws inspiration from daughters Sophia and Alice

Acomparative study1 of multi-sensory and traditional toys in child education published in March 2024 highlighted that activating multiple senses has the potential to collectively amplify children’s engagement in the learning process. The study also suggested that children subjected to multisensory stimuli – as opposed to monotonous activities - were more likely to gain a deeper understanding and retain information.

Children’s cognitive development operates on visual, auditory, kinaesthetic or experiential stimuli, with information assimilated differently according to individual learning styles, preferences and challenges.

Whilst tooth brushing has been referred to as ‘a sensory adventure that is beneficial to children’s healthy development’ in advice to speech therapists2. The more children brush their teeth, the more they recognise the oral stimuli, which subsequently reduces their anxiety.

Brushing also improves the children’s proprioceptive senses which are foundational to their individual growth: it provides them with multiple, coherent oral sensory input, which reinforces the development of motor gestures for opening the mouth, moving the tongue, pursing the lips, in other words, considerably helps with the functions of both eating and talking.

However, as every parent will attest, getting a child to brush their teeth is easier said than done, and resistance is a recurring challenge in every household. Some children struggle with what they perceive as an overstimulated mouth (hypersensitivity), or a decreased sensation of where the toothbrush moves in their mouth (hyposensitivity). Others lack guidance from parents who might benefit from developing effective brushing skills themselves.

A plethora of communication strategies and tools have been developed to encourage brushing and make it an enjoyable experience for children. I would also applaud the work of so many of my peers who relentlessly try and motivate their young patients - and their parents.

As a registered Dental Therapist, children’s oral health topic has always been very dear to my heart. Having my two daughters has been an eye opener and made me realise how challenging brushing time is for parents.

When my daughters received their first Sonicare4Kids toothbrushes back in 2022, they instinctively moved them as if they were manual brushes. This validated my presence in the bathroom using my own Sonicare to guide them. It soon became apparent that their engagement and learning process called for a multitude of sensory strategies to make them assimilate the understanding of what brushing was for and how to brush effectively.

Literature exploring children’s’ engagement reported a greater understanding and mental retention of what an apple means to a child when they can visually process it whilst involving gustatory and tactile senses, compared with a child who has only been able to read about it. 3 I can certainly relate to this during brushing time.

The Philips Sonicare4Kids is coupled with an app featuring an engaging cartoon character to help encourage effective and consistent brushing behaviour. I initially chose not to introduce it to the girls as I wanted to observe how they were adapting to the use of an electric toothbrush themselves. Later on, the app proved a massive success as this further built on their engagement and allowed them to evolve to the next brushing level.

Over the past years, I became motivated to create a book to inspire children’s toothbrushing time myself, that I have just published for sale on Amazon. I have been immensely privileged to involve my daughters in the development of this book project to support children, parents and carers at tooth brushing time and initiate positive brushing habits for an audience aged between 1- 5. I chose to include two main elements: The teddy bear - easily transferrable to emulating real life imaginative play - and a song which can be repeated in children’s own play time. I hope that the visual cues from the book, the reinforcement from the auditory version, and the tactile feedback

from a brush like the Sonicare4kids will provide the right multi-sensory approach to enrich children’s learning about brushing. Additional to the book there are other resources that families can access.

A big thank you to the British Society of Dental Hygiene and Therapy (BSDHT) for supporting my book, and Philips for inspiring me by providing Sonicare4Kids brushes for my girls. This means a lot to me.

For more information

https://www.amazon.co.uk/dp/B0DPG8ZW65 for Victoria’s book • For more information about Sonicare4Kids visits Philips’ Online Store: https:// www.b2bshop.philips.com/philipsb2bstorefront/ gb11-04/en_GB/GBP/login

Refereneces

1. https://www.researchgate.net/ publication/378709540_Beyond_play_a_ comparative_study_of_multi-sensory_and_ traditional_toys_in_child_education

2. https://oralite-alimentaire.fr/orthophonie-etlavage-de-dents

3. Naufal, A. A., and Suzianti, A. (2019). Design thinking approach for product innovation design of educational toys. In Proceedings of the International Conference on Education, Mathematics and Computer Science (ICEMC), United States: IEEE, 69–74 n

ABOUT THE AUTHOR

Victoria is a dental hygienist and therapist. She is the founder of Smile Revolution..
VICTORIA WILSON
Far left, Sophia and Alice, receiving their first Sonicare 4 Kids brushes in 2022; Left, Sophia and Alice, holding Victoria’s new book in 2025

Dental Therapist of the Year: Natalie Peary

We catch up with Dental Therapist of the Year Natalie Peary to find out what it is like working for a community interest company, as well as her thoughts on the powers gained by the profession this year

Smile Together Dental CIC had multiple causes for celebration at the 2024 Dental Awards. The community interest organisation scooped the prize for Practice of the Year. Being one of the South West’s largest NHS referral and emergency dental care providers, it partners with NHS Cornwall and the Isles of Scilly Integrated Care Board to provide emergency dental treatment for people who don’t have their own dentist. This numbered over 32,000 appointments last year alone.

In addition, Smile Together’s Natalie Peary took home the trophy for Dental Therapist of the Year.

How did you get into Dental Therapy?

I was initially inspired to follow this career choice during two weeks of work experience alongside another dental therapist. I’ve found it to be an inspirational career journey ever since. After I graduated, I undertook dental therapist foundation training in Haddenham, with the Thames Valley deanery. From there, I joined the specialist and community dental service in London, where I held additional roles, such as being a Learning Disability Champion and

a point of support dealing with safeguarding issues. I supported several dental foundation dental therapy students, and also served as a sedation trainer for the Trust, working with numerous dental colleagues and helping them to gain this additional qualification.

What is it like working at Smile Together Dental CIC?

In the last two years, I made the big decision to move to Smile Together Dental CIC, where I work as an Outreach Dental Therapist. I am so fortunate to have this innovative ‘split’ role with Smile Together. Not only do I work as a clinician in the surgery environment, providing treatment to paediatric patients and special care adults who have been referred into our service, but the outreach element also sees me working in the heart of local communities, including in schools and our mobile dental unit. I’m also involved in creating and developing outreach projects to ultimately improve dental access for vulnerable groups, families and individuals. This is an important stepping stone for our service to fully utilise the entire dental team and encourage the use of effective dental skill mix.

How do you find it working for a community interest company?

I am very passionate about the work we do as a community interest company. We put the interests of our people and our planet first, which is truly inspiring. As a company, we are driven by a social and environmental mission, and reinvest profits into creating positive social change. We reinvest 100% of our profits back into patient facilities, our community, and environment – over £7 million to date!

I love being able to make a difference, both within a clinical setting and out in the community. The ability to work with multiple services and teams to improve the provision of dentistry across Cornwall, and to genuinely tackle oral health inequality, is amazing.

What makes Smile Together Dental CIC particularly unique?

As a values-based, mission-led organisation, impact is at the heart of everything we do. In July 2022, Smile Together achieved B Corp certification – independent verification that we meet the highest standards of social and environmental performance, public transparency, and legal accountability in balancing profit and purpose. And, to top it all off, we were the first dental practice in the UK to become B Corp certified!

We are also an employee-owned company, which means that we have a genuine voice in the business and how it is run. It is so rewarding to be able to voice your opinions and see them come to fruition.

How did it feel to be named Dental Therapist of the Year?

I was extremely honoured and proud to have not only been nominated for this award but to be the winner! I entered my 10th year as a qualified Dental Therapist feeling truly humbled, and cannot thank those at Smile Together enough for the nomination and support.

It’s been a big year for dental therapy, with new powers announced. What are your thoughts on the state of the profession?

2024 has indeed been a very big year for dental therapists. We still have a long way to go before the introduction of new powers [to personally supply and administer specified medicines] becomes the norm in NHS settings. It is positive to see this change come into fruition, and it is something that a lot of people never thought would happen.

I’m very excited to see what the future brings but we need to make sure that there is appropriate training, as well as access to the benefits dentists currently access by working for the NHS – this includes an NHS pension! n

Connecting hepatitis B with oral health

Learning objectives

• Understand the aetiology and impact of hepatitis B

• Identify the association between periodontal disease and hepatitis B

• Recognise patients who may be vulnerable and how to help them

GDC Development Outcome: C

Gingivitis can be found in 90% of the global population.i

When ignored, the condition’s progression into periodontal disease can be destructive, inflammatory and much harder to treat. Chronic periodontitis can lead to loss of the alveolar bone, loosening of teeth and eventually tooth loss. The prevalence of periodontal disease is growing in younger demographics and it is an ongoing concern.ii

The risk-factors for periodontal disease are well known: smoking, diabetes mellitus, diet deficiencies and obesity are just some of the conditions or habits that can increase the likelihood of periodontitis. Hepatitis B has been identified as a risk factor too, and practitioners should familiarise themselves with the virus so that they can better protect and treat infected patients who may develop periodontitis. ii

The low down Hepatitis B is a virus that causes liver infection. An estimated 254 million people live with chronic hepatitis B and 1.2 million new infections are predicted each year. iii Chronic hepatitis B can lead to cirrhosis and liver cancer – both are life-threateningii Prevalence of the virus in the UK is low at 200,000 people; by 2030 it is expected to be fully controlled, even eliminated.iv However, to achieve this, everyone must remain vigilant.

There are two types of transmission for hepatitis B: horizontal and vertical. Horizontal transmission can be observed through the contact of bodily fluids; unprotected sex, blood transfusions and shared syringes are common conduits of the virus. v Vertical transmission describes the infection from mother to embryo, foetus or baby during pregnancy or childbirth. In high prevalence areas, this is the leading form of transmission. v

For UK residents, hepatitis B vaccinations are available and encouraged if they are visiting high-risk areas, such as certain African, Asian, South American or Eastern European countries. vi From getting tattoos whilst backpacking to receiving medical care with unsterilised equipment, the risk of getting hepatitis B abroad can be high. 5% of UK chronic hepatitis B cases may be connected with adult risk behaviours. iv Other at-risk people include healthcare workers and prison workers; jobs that may put them into contact with bodily fluids. vii People who live with someone who has hepatitis B are similarly at risk. However, the Health Protection Agency has observed that migration in the UK has increased the frequency of chronic infection. viii Over 95% of newly

diagnosed UK people with chronic hepatitis B are migrants. iv For migrants who may be moving from hepatitis B-prevalent countries to the UK with their families, the chance for vertical transmission is high. Patients who come from at-risk countries (and any children they may have had in the UK who could have inherited the virus) may then be vulnerable to periodontitis.

The bridge between periodontitis and hepatitis B

Periodontal tissue is connected by blood and lymphatic fluid to the rest of the body. When pathogens disrupt the general homeostasis, periodontal health can be affected. The oral cavity is vulnerable to microbial colonisation, with bacteria, fungi and archaea all able to take root. The oral cavity can also harbour viruses such as HIV, herpes simplex virus type 1, anelloviruses, papillomaviruses and hepatitis A, B and C.ii These are detectable in saliva or gingival tissues. The association between these viruses and periodontitis can be attributed to the coordination with the oral cavity’s local bacterial community, and the reduced response of the immune system. Viral particles move through the bloodstream, reach the lymphatic system and then, via osmosis, end up in the gingival crevicular fluid (GCF). ii GCF then carries the viral particles into the saliva, where viral nucleic acids in the oral cavity cause infection by disrupting the immune microenvironment. ix

Other studies have shown that hepatitis B-infected patients have increased levels of both pro- and anti-inflammatory interleukin, with the imbalance of the

inflammatory mediators supporting a relationship between their hepatitis B infection and periodontitis. ii It is therefore important to recommend an effective oral hygiene routine to at-risk patients, depriving harmful bacteria of a suitable environment and preventing inflammatory responses.

The greater impacts

The association between hepatitis B infection and periodontitis endures across many factors, such as age, sex, race, marital status, smoking, drinking and the presence of diseases such as diabetes.ix It is important to communicate to impacted patients on the overlap between oral health conditions like periodontitis and greater systemic health complications like hepatitis B, Alzheimer’s disease and obesity. A problem for hepatitis B-infected patients is that, for horizontally transmitted cases, symptoms develop 30-180 days later. These may include vomiting, yellowish skin, weariness, black urine and abdominal discomfort. vii Delayed symptoms and diagnosis can mean that periodontitis can progress faster if the hepatitis B is not treated as quickly.

What we can do

The UK Health Security Agency pushes to improve awareness of hepatitis B by promoting more monitoring of high-risk groups and implementing more vaccinations. As a dental practitioner, being aware of each patient’s history – recent holidays, jobs, health, migration – can better inform you of their periodontal risk.

Hepatitis B is surrounded in a cultural stigma; those with it are afraid of passing it on and some may struggle

declaring their infection due to the shame and anxiety that may come with it through its association with highrisk sexual practices and sharing drug paraphernalia. ii Harbouring a supportive environment in the dental practice, be that by a poster and/or open conversation, can break the stigma and give you the best understanding of your patient’s systemic health so that you can provide excellent care.

A recommendable solution

To combat the colonisation of harmful bacteria and the risk of periodontal disease, regular dental appointments and a consistent oral hygiene routine that incorporates interdental cleaning are essential. First-class oral health brand TANDEX can help: their range of FLEXI interdental brushes has 11 different sizes to access every interdental space. Every FLEXI has an

To answer the questions below, visit cpd.the-probe.co.uk and register/log in. Click on ‘Courses’. Search for the course with the same headline as the corresponding article.

CPD

1. How many people in the UK have hepatitis B?

a. 50,000

b. 140,000

c. 200,000

d. 280,000

2. Which one of the following is not a known way of contracting hepatitis B?

a. Blood transfusions

b. Unprotected sex

c. Sharing syringes

d. A handshake

3. Which of the following demographics may be vulnerable to hepatitis B?

a. Prison workers

b. Healthcare workers

c. Migrants

d. All of the above

adjustable brush and a flexible handle to promote a comfortable cleaning experience. Applying PREVENT Gel to a FLEXI is also recommended for its antibacterial quality, containing 0.12% chlorhexidine and 900ppm fluoride. With TANDEX oral health products, patients can not only protect their teeth and gingiva, but they can also make them stronger.

The oral cavity is one part of an elaborately connected biological network. By understanding the impact that wider systemic complications can have on oral health, practitioners are even more prepared to deliver treatments and support patients in their journey. Understanding hepatitis B as a risk factor for periodontitis

For more information on Tandex’s range of products, visit https://tandex.dk/ or visit the Facebook page: https://www. facebook.com/TandexUK

Our products are also available from CTS Dental Supplies https://www.ctsdental.com/ and DHB Oral Healthcare https://dhb.co.uk/ n

References available upon request

About the author

Jacob Watwood on behalf of Tandex.

questions – Connecting hepatitis B with oral health

4. What is the percentage of new hepatitis B cases attributed to migrants?

a. 95%

b. 85%

c. 40%

d. 10%

5. Which of the following is true?

a. A consistent oral hygiene routine can cure hepatitis B

b. Hepatitis B is genetic

c. Hepatitis B symptoms are always immediate

d. Hepatitis B can be transmitted to children

6. How can periodontitis be prevented?

a. Interdental cleaning

b. Toothbrushing

c. Visit the dentist regularly

d. All of the above

Peri-implantitis – risk factors, prevention and treatment options

Learning objectives

• To understand the contributing factors of implant failure

• To identify some common symptoms and causes of peri-implantitis

• To help optimise the oral health of patients with implants

GDC Development Outcome: C

Dental implants are a popular and predictable solution for patients with lost teeth. Implants have an impressive 97% success rate, and can not only restore function and aesthetics for patients, but they may also prevent the advancement of alveolar bone resorption. This can reduce the risk of further tooth-loss for edentulous patients. ii Implant patients can develop periimplantitis – a site-specific infectious disease affecting soft tissues and bone iii which is the most frequent and avoidable cause of dental implant failure.

iv When educating patients on the care and maintenance of their implants, it is important to understand the risk factors associated with peri-implantitis, as well as the best ways to minimise the risks of developing the condition.

Providing patients with clear advice before commencing implant treatment, highlighting the importance of regular care appointments post-placement, ensures patients are fully informed, and able to participate effectively in their treatment.

All

about implants

To understand peri-implantitis, it is helpful to fully understand the way implants interact with living tissue. The most important factor in predicting the success of implants is primary stability, without which osseointegration cannot take place.v Additionally, micromovements around an unstable implant create opportunities for infiltration by microbes, leading to bacterial growth.vi

The biomechanical performance of dental implants is a very important factor

in the success of primary stability and ensuing osseointegration. vii Innovative implant designs, materials and surgical methods have improved the performance of conventional implants, and have opened up new possibilities for patients with complex oral health challenges. Implants are composed of biocompatible material, like zirconia or a titanium zirconium alloy, which is often further treated to facilitate integration with the bone in a patient’s jaw. A rough texture or a bioactive coating, like hydroxyapatite, can support the osseointegration process. viii The shape of the implant can also improve its biomechanical behaviour. Most commercially available implants are threaded to create texture, and provide additional stability. Threads create greater implant surface area and dimensionality,

Up on CPD

increasing the points of contact with bone. This helps prevent micromovements and enhances direct bone-implant integration. vii

Options for immediate versus delayed loading protocols require a complex decision-making process around various risk factors. These mandate assessment of the patient’s bone quality, their general systemic health, the function of their immune system and their motivation to cooperate with treatment advice.ix

What is peri-implantitis and how does it develop?

Peri-implantitis causes an inflammatory process in soft tissues, leading to bacterial infection and bone loss. Peri-implant disease includes peri-implant mucositis, which can lead to peri-implantitis if left untreated.x

The causes of peri-implantitis are multifactorial but the prime factor is the build-up of dental plaque. Risk factors include poor oral hygiene, a predisposition to periodontitis, biomechanical overloading due to (for example) bruxism or poor occlusion, incorrect positioning of the implant, alcohol abuse and smoking, diabetes mellitus and inadequate bone support.xi

Patients with diabetes mellitus are prone to periodontitis and have a greater risk of developing peri-implantitis due to the

release of advanced glycation end products as a result of hyperglycaemia. xi

Smoking increases the risk of implant failure 3-fold, while a positive history of periodontal disease doubles the risk.xii Tobacco smoke increases the incidence of pro-inflammatory cytokines such as interleukin-1, which contributes to increased tissue damage and alveolar bone resorption. Nicotine may additionally have an effect on cellular protein synthesis, and has been shown to impair the gingival fibroblast’s ability to adhere, negatively affecting wound-healing.xiii

How is the condition diagnosed?

Diagnosis is based on changes of colour in the gingiva, gingival swelling and sensitivity, bleeding and probing depth of periimplant pockets, suppuration, radiographic evaluation, and gradual loss of bone height around the tooth.xii

Successful implants generally have a probing depth of 3 mm or less, whereas a pocket of 5 mm or more provides an unprotected environment in which bacteria can proliferate.xiv

A peri-implant sulcus fluid (PISF) analysis measures biochemical markers in PISF, offering a non-invasive means of peri-implant disease diagnosis by assessing the host response to possible infection.xvi

Treatment options

Treatment will differ depending upon whether it is a case of peri-implant mucositis or peri-implantitis. The management of implant infection should be focused on the control of infection, the detoxification of the implant surface, and regeneration of the alveolar bone.ii

Nonsurgical approaches to removing infection include decontamination using mechanical debridement, antiseptic solutions and antibiotics. Surgical solutions can include elimination of a pocket, resection, bone recontouring and regeneration of lost bone and soft tissue. Laser treatment can lead to a temporary reduction in the depth of periodontal pockets, and abrasive air powder has been shown to be effective for cleaning an implant surface that has been previously contaminated. ii

At-home hygiene instruction for patients with implants

Patients may have shown commitment before commencing treatment to oral health routines, but reiterating the importance of these routines at every visit is important to reduce the risk of peri-implantitis. This is especially important for patients with conditions that place them at additional risk of infection, or who may have lost their teeth due to poor oral hygiene routines in the past. xiii

During the healing process, recommendations for home care require detailed verbal and written advice at every

stage. Oral hygiene methods should be re-evaluated at every visit. Patients with implants are advised to use home care tools that don’t have an abrasive effect, and a soft, tapered, small-bristled brush is recommended to access the under-surface of connector bars. Interdental cleaning is an important part of home-care, and adding antiseptic rinses or gels is also recommended to ensure effective coverage. TANDEX has all the tools needed by patients to carry out effective home-care routines to help keep their mouths healthy, and optimise the success of their implants.

To answer the questions below, visit cpd.the-probe.co.uk and register/log in. Click on ‘Courses’. Search for the course with the same headline as the corresponding article.

questions – Peri-implantitis

1. What is the most common avoidable cause of implant failure?

a. Corrosion

b. Infection c. Oxidisation

Smoking

2. What is the main predictor of implant success?

a. Abutment type

The FLEXI range of interdental brushes also come in ultra-soft, and by adding a small amount of PREVENT Gel from TANDEX, patients benefit from the antibacterial effects of 0.12% chlorhexidine. FLEXI brush tips can be shaped and reshaped to reach every area of the mouth. Additionally, the SOLO range of small-headed brushes from TANDEX include an ultra-soft option. The hand-made, tapered tip is perfect for cleaning in and around hard-to reach areas of the mouth.

Although advancements around the use of implants to treat edentulism are overwhelmingly successful, there remains a risk of infection, and implant failure can occur due to peri-implantitis. Ensuring patients have the right information and tools to maintain excellent oral hygiene can greatly improve their ability to prevent the onset of this avoidable condition.

For more information on Tandex’s range of products, visit https://tandex.dk/

Our products are also available from DHB Oral Healthcare https://dhb.co.uk/ n References available upon request

4. What are the early signs of peri-implantitis?

a. Gingival pain or tenderness

b. Suppuration

c. Bone loss

d. All of the above

Implant coating

b. Implant type c. Primary stability

3. Which of the following are mentioned as a risk factor for peri-implantitis?

a. Smoking, diabetes, a history of periodontal disease

b. Low socio-economic status, smoking, drug-use

c. Nutrition, auto-immune disorders, smoking

d. All of the above

5. What are some home-care routine recommendations for patients with implants?

a. A large toothbrush, fluoride toothpaste, interdental cleaning

b. A small-headed toothbrush, chlorhexidine rinse, interdental cleaning

c. Chlorhexidine rinse, interdental cleaning, air abrasion

d. Resective surgery

About the author Jacob Watwood on behalf of Tandex.

See what opportunities are out there

Seeking a new position can come with a range of different benefits, including a better salary, career opportunities and skill development.

In order to reap the benefits, you should avoid choosing the first offer straight off the bat. Cast your net wide and see what roles are available to you. Dental Elite can help you streamline your options and find the most suitable position for you, no matter if you’re a dental nurse, dental hygienist/therapist, associate dentist or practice manager.

Dental Elite has decades worth of experience working within the dental sector, helping dental

professionals find the right role that ticks every box. To find out more about jobs in the dental sector, visit the website or get in touch with the team today.

For more information contact Dental Elite.

Visit www.dentalelite.co.uk, email info@dentalelite.co.uk or call 01788 545 900.

Working with friendly teams is good for you!

Developing great working relationships with colleagues is a positive way to engage socially while also doing what you love. Rodericks Dental Partners creates positive, respectful working environments in which pleasant interactions with peers and colleagues can flourish.

With additional access to numerous mentoring and training opportunities across Rodericks Dental Partners’ large network, colleagues can build genuine lasting friendships with likeminded professionals.

Each and every colleague is valued and supported by the Rodericks Dental Partners dedicated support team, ensuring that work arrangements are tailored to suit individual

Mouth to mouth guard

With the winter months comes hockey and rugby season – two sports that recommend mouthguards to protect the teeth. But wearing them over and over can accrue plaque – a solution is needed.

Curaprox Aligner Foam, from Curaden, is an essential guardian for the oral health of those who wear aligners, retainers and mouth guards. Its unique formula revitalises and enriches the teeth with natural minerals, layering a smooth shield to moisturise them.

It can be easily applied in two ways; by brushing it around with the tongue, or applying it directly to the device. With lasting freshness and a comfortable feel, Curaprox Aligner Foam is the ultimate companion for protecting the teeth, and fits nicely in the side pocket of a sports kit bag.

Convenience meets sustainability

Choose sustainable and easily storable clinical waste containers with the Griff Pac from Initial Medical.

The Griff Pac is a green solution for your practice, made from 70% recycled plastic. Clinicians can choose from a range of colours to suit their needs, while following the HTM 07-01 best practice colour code, meaning they remain compliant whilst reducing their environmental impact. Alongside reducing the demand for virgin plastics, Griff Pac containers can help you segregate large quantities of waste clearly and simply. Choose between 25L and 50L sizes depending on the amount of waste produced regularly in your practice. Choose between 25L and 50L sizes depending

dentalelite.co.uk

lifestyles. When all your colleagues have excellent support, it results in a more collaborative and friendly workplace for everyone.

Discover what makes Rodericks Dental Partners such an excellent place to work today!

To find out more about what it’s like to work with Rodericks Dental Partners and to discuss current vacancies, you can visit https:// rodericksdentalpartners.co.uk/careers

rodericksdentalpartners.co.uk/careers

Whilst the mouth guard protects from trauma, using Curaprox Aligner Foam protects the teeth from the mouthguard. Freshen up a game of rugby or hockey and recommend it today.

To arrange a Practice Educational Meeting with your Curaden Development Manager please email us on sales@curaden.co.uk

curaden.co.uk

on the amount of waste produced regularly in your clinic, and keep up to 4x as many containers to hand thanks to their convenient flat pack design. The Griff Pac is also brilliantly lightweight, which can help reduce your disposal costs versus solid rigid containers. To learn more about sustainable clinical waste containers from Initial Medical contact the team today.

To find out more, get in touch at 0808 304 7411 or visit the website today www.initial.co.uk/medical

initial.co.uk/medical

Why benzocaine?

It may be a number of hours before a patient can attend an emergency dental appointment. In this time, pain relief is essential to help patients manage their discomfort. Benzocaine is the ideal solution.

Benzocaine is a powerful topical anaesthetic which works to relieve pain rapidly. It temporarily blocks pain signals along the nerves, and numbs the problem area quickly.

Benzocaine is an active ingredient in Orajel, allowing it to be easily applied to the painful area, working at its full effect for 15-20 minutes, providing total numbness in less than two minutes – much faster than systemic pain killers. Plus, its effects can be felt for several hours following application, delivering continued pain relief. Orajel offers two strengths of benzocaine, meeting different patients’ needs. Containing 10% benzocaine is Orajel Dental Gel while Orajel Extra Strength features 20% benzocaine for patients in acute dental pain.

Patients can use Orajel up to four times a day, enabling them to manage their pain at home whilst they wait for an emergency appointment.

To find out more about Orajel, contact the team and visit the website today.

For more information, and to see the full range of Orajel products, please visit https://www.orajel.co.uk/

The rush to brush

Gingival diseases can lead to bad breath, loose teeth and bleeding gums. Don’t let these symptoms affect a patient’s quality of life – recommend daily interdental brushing with FLEXI, from TANDEX.

Available in 11 sizes for superb coverage, FLEXI brushes can reduce the risk of gingival diseases by removing the trapped, harmful bacteria among the interdental spaces. The brush can be easily shaped for maximum access, cleaning the teeth and massaging the gingivae to reduce irritation.

When combined with the chlorhexidine content of PREVENT Gel, from TANDEX, FLEXI brushes can reduce plaque and minimise the effects of gingival diseases. PREVENT Gel also contains 900ppm fluoride, strengthening the enamel and promoting a clean and protected oral cavity.

Simple yet reliably effective, using FLEXI brushes for daily interdental cleaning can improve a patient’s oral health and make gingival disease a thing of the past.

For more information on Tandex’s range of products, visit https://tandex.dk/

Our products are also available from DHB Oral Healthcare https://dhb.co.uk/

tandex.dk

orajel.co.uk

• A dentolegal advice line, with out-of-hours advice available for emergencies 24/7, 365 days of the year

• A huge range of CPD, including live webinars, online modules, and more

• Help responding to and resolving patient complaints

• Access to our confidential counselling service to support you through stressful situations.

Brush where your toothbrush can’t

Interdental brushes are the most efficient, user-friendly tool for plaque removal between teeth. TePe offer a diverse selection of award-winning interdental brushes to suit every patient’s individual needs.

Scan the QR code to view TePe’s products suitable for interdental cleaning.

Turn static files into dynamic content formats.

Create a flipbook
Issuu converts static files into: digital portfolios, online yearbooks, online catalogs, digital photo albums and more. Sign up and create your flipbook.