Gaceta Dental - 365

Page 165

Núm. 365 Abril 2024 | 6,50€ gacetadental.com

Odontofobia

Estrategias y medidas para manejarla

Tecnología digital

Sistema Chairside: Rehabilitación oral aditiva

Expodental 2024

30.000 profesionales acuden a la gran cita del sector

Asepsia en la clínica

Qué nos ha quedado después del COVID-19

Núm. 365 Abril 2024 | 6,50€ gacetadental.com

Odontofobia

Estrategias y medidas para manejarla

Tecnología digital

Sistema Chairside: Rehabilitación oral aditiva

Expodental 2024

30.000 profesionales acuden a la gran cita del sector

Asepsia en la clínica

Qué nos ha quedado después del COVID-19

Férula de Descarga Digital de Nylon

Escanea el código QR para descargar el catálogo completo

La primera Férula de Descarga para tratar a pacientes con bruxismo y problemas de la ATM utilizando la tecnología más avanzada en impresión 3D.

Tecnología CAD/CAM para una óptima precisión y adaptación de la férula

Fabricada en Poliamida 12 con certificado en biocompatibilidad Clase IIa

Ligera, cómoda y con una alta resistencia al desgaste y a las fuerzas de la boca

(+34) 952 212 174info@ortoplus.es
Intensivo de Férulas de Descarga Dr. Eduardo Vázquez Málaga 8 de junio 2024 ortoplus.es academy.ortoplus.es Reserva tu plaza
Curso

Pre

E-max CAD sobre implante

E-max CAD sobre diente natural

E-max CAD sobre diente natural

Pre

Pre

E-max CAD sobre implante

E-max CAD técnica “Cut-back”

Pre

E-max CAD sobre implante

Pre

Pre

E-max CAD técnica “Cut-back”

E-max CAD técnica “Cut-back”

E-max CAD “Monolítico”

Pre

E-max CAD “Monolítico”

E-max CAD “Monolítico”

Pre

le ofrece:

Pre

innovador Disilicato de Litio (LS2) del sistema de cerámica

le ofrece:

IPS e.max CAD no solo ofrece una altísima estética que también es de 2,5 a 3 veces más resistente 360 que el resto de cerámicas de vidrio. Por ello, este material cubre todos los requerimientos estéticos y también representa una alternativa eficiente a las restauraciones unitarias ZrO2. (Zirconio)

le ofrece:

El innovador Disilicato de Litio (LS2) del sistema de cerámica vítrea IPS e.max CAD no solo ofece una altísima estética sino que también es de 2,5 a 3 veces más resistente 360 MPa que el resto de cerámicas de vidrio. Por ello, este material cubre todos los requerimientos estéticos y también representa una alternativa eficiente a las restauraciones unitarias de Zr02 (Zirconio).

El innovador Disilicato de Litio (LS2) del sistema de cerámica vítrea IPS e.max CAD no solo ofrece una altísima estética sino que también es de 2,5 a 3 veces más resistente 360 MPa que el resto de cerámicas de vidrio. Por ello, este material cubre todos los requerimientos estéticos y también representa una alternativa eficiente a las restauraciones unitarias de ZrO2. (Zirconio)

IPS e.max está avalado por la experiencia clínica que ha demostrado durante años, tanto en estética como en resistencia. La amplitud de elección del material, según el caso, en conjunción con la técnica empleada en nuestro laboratorio dotarán a los trabajos de la mayor estética para sus pacientes.

IPS e.max está avalado por la experiencia clínica que ha demostrado durante años, tanto en estética como en resistencia. La amplitud de elección del material, según el caso, en conjunción con la técnica empleada en nuestro laboratorio dotarán a los trabajos de la mayor estética para sus pacientes.

IPS e.max está avalado por la experiencia clínica que ha demostrado durante años, tanto en estética como en resistencia. La amplitud de elección del material, según el caso, en conjunción con la técnica empleada en nuestro laboratorio dotarán a los trabajos de la mayor estética para sus pacientes.

®
Pre Pre
®
Pre

Núm. 365 Abril 2024 | 6,50€ gacetadental.com

Odontofobia

Estrategias y medidas para manejarla

Tecnología digital

Sistema Chairside: Rehabilitación oral aditiva

Expodental 2024

30.000 profesionales acuden a la gran cita del sector

Asepsia en la clínica

Qué nos ha quedado después del COVID-19

Gaceta Dental · N o 365 | Abril 2024 Good vibes. CARTA ABIERTA
4 ÍNDICE DE ANUNCIANTES. Gaceta Dental 365 Índice de anunciantes AGUILERA DENTAL 49 ALIGN TECHNOLOGY - ITERO 137 ARCHÍMEDES 29 ÁVILA MAÑAS Int. Portada BEGO 139 BIOINNOVACIÓN DENTAL 23 BTI 9 BUKORENT 95 CATALANO CLÍNICAS ODONTOLÓGICAS 142-43 CEODONT 27 DENTAL LAB 77 EXPADENT 99 GECKO 11 HEKA DENTAL 149 HEXA3DENTAL 132-133 HTL 111 I2 IMPLANTOLOGÍA 89 IPG DENTAL 129 IVOCLAR Int. Contraportada MANUEL ROMÁN ACADEMY 53 NSK Desp. Contraportada ORTHODEPOT 135 ORTOPLUS Solap a Portada PECKET 37 RADHEX Cont raportada RENFERT 119 RUMAR 5 SANHIGÍA 151 SEPA 107 SEPES 7 SMART IMPLANT SOLUTIONS 85 SPRINTRAY 146-47 ULTRADENT 69 y 130 -131 VOCO 63 WOLF - DISEÑO & REFORMAS 141 ENCARTES SUELTOS SANHIGÍA ULTRADENT Gaceta Dental · N o 365 | Abril 2024

IMPORTADOR MAYORISTA PARA

LA PENÍNSULA IBÉRICA

20 años al servicio de distribuidores y servicios técnicos dentales

PVP: 1.880,00€*

GARANTÍA: 2 AÑOS

AP-B

- Ultrasonidos: con luz LED, diseñado para tratamientos de profilaxis, periodoncia y endodoncia.

- Aeropulidor versátil 2 EN 1: Función Supragingival y Función Subgingival

- Potencia y precisión.

- Función de autolimpieza , diseñado para que nunca se atasque.

- 6 niveles de regulación de caudal

- 6 niveles de regulación de potencia

UNIDAD DE PROFILAXIS

SOLUCIÓN COMBINADA Y COMPLETA PARA UNA PROFILAXIS PERFECTA: EFICIENTE, CÓMODA Y SEGURA .

DE LA MÁS SENCILLA A LA MÁS COMPLETA

*La unidad se fija al carrito de forma segura. Carrito OPCIONAL no incluido en el precio.

PT-A Y ADEMÁS:

PVP: 3.980,00€*

GARANTÍA: 2 AÑOS

- Ultrasonidos con TECNOLOGÍA “PAINLESS” para tratamientos indoloros

- Calentador de agua.

- Pedal multifunción.

- Gran pantalla táctil.

- 12 niveles de regulación de caudal.

- 12 niveles de regulación de potencia.

Pregúntanos por tu distribuidor o servicio técnico más cercano www.rumarcedeira.com | rumarcedeira@rumarcedeira.com Teléfono: 91 849 01 04 | WhatsApp: 683 157 441 ¡Siempre en stock, entrega en 24 horas!
*IVA/IGIC no incluido

SUMARIO

Ciencia y clínica

–Rehabilitación oral aditiva utilizando tecnología digital mediante un sistema chairside. A propósito de un caso, por el Dr. Cristian Abad y cols. [18]

–Abordaje de conductos con dificultad instrumental. Estrategias y factores a modificar, por los Dres. Benjamín Martín Biedma, Pablo Castelo Baz y cols. [32]

–Pacientes asmáticos en Odontopediatría (I), por la Dra. María Flórez Mora. [42]

–Asepsia en la clínica dental. Qué nos ha quedado después del COVID-19, por la Dra. Gema Maeso. [58]

–Síndrome de Parry Romberg. Atrofia hemifacial progresiva, por la Dra. Carmen Grille y cols. [72]

Protagonistas

Manuel Máiquez Presidente de la Sociedad Española de Odontología del Deporte (SEOD).

Carta abierta

3

90 18

«Good vibes», por Gema Bonache, directora de Gaceta Dental.

80

Digital al día

Planificación de implantes yuxtaóseos y carga inmediata con protocolos Di2gitalArch®️, por el Dr. Luis Cuadrado de Vicente.

6 Gaceta Dental · N o 365 | Abril 2024 SUMARIO
Rincón digital Premios GD ¡Ya está abierta la convocatoria de la 27a edición de los Premios GD! 8 SUMARIO Gaceta Dental · N o 365 | Abril 2024 A fondo 96 104 Clínica CICOM Monje A la última 112 120 GDentalk Estrategias para reducir la odontofobia. 126
secretos. Explorando el universo de las impresoras 3D en Odontología, por el Dr. Giuliano Fragola. Y además... Noticias 128 Productos 152 Agenda 154 Calendario de congresos 162
Marketing dental sin

SOLUCIONES MÍNIMAMENTE INVASIVAS

IMPLANTES CORTOS

(HASTA 4,5 MM)

Plataformas: Estrecha y 3.0

DESCÚBRELOS

REPLANTÉATE LOS TRATAMIENTOS DE LAS ATROFIAS ÓSEAS

POR 3 RAZONES:

1. Menor traumatismo: sin reconstrucciones complejas.

2. Más éxito sin complicaciones postoperatorias.

3. Mayor aceptación por parte del paciente: sin demoras en la rehabilitación y aumentos de costes.

BTI Biotechnology Institute Tel: (+34) 945 140 024 | bti-biotechnologyinstitute.es
Ciencia y experiencia
7,5mm. 6,5mm. 5,5mm. 4,5mm.

EDITA

Peldaño

DIRECTORA

Gema Bonache gbonache@gacetadental.com

PUBLICIDAD

Ana Santamaría

Directora de ventas ana@gacetadental.com

Marta Pérez marta@gacetadental.com

Manuela Bino i mbinotti@gacetadental.com

JEFE DE PRODUCCIÓN

Miguel Fariñas

ACCEDE

OFICINAS Y REDACCIÓN

Avda. Manzanares, 196 28026 Madrid

91 476 80 00

HEAD OF DESIGN

Juan Luis Cachadiña

COPYWRITER

Sandra Rodríguez srodriguez@gacetadental.com

REDACTORA

Patricia Merino pmerino@gacetadental.com

TIENDA GD

Francisco Soriano paco@gacetadental.com

Jorge Cacuango jorge@gacetadental.com

DISEÑO Y MAQUETACIÓN

Débora Martín

Cristina Corchuelo

IMPRIME

mccgraphics Txirrita-Maleo Biribil, 11 20100 Errenteria, Gipuzkoa

CONSEJO DE INNOVACIÓN Y EXCELENCIA

¡SÍGUENOS EN LAS REDES!

Foto: Fernando Rey Duro

SUSCRIPCIONES Y DISTRIBUCIÓN

Remedios García

Laura López suscripciones@peldano.com

902 35 40 45

DEPÓSITO LEGAL

M.35.236-1989 ISSN

1135-2949

CIENCIA Y CLÍNICA: Dr. José Aranguren, Dra. Estefanía Laguna, Dr. Juan López-Quiles, Dra. Estefanía Moreno, Dr. Jesús Peláez Rico, Dr. Luis Segura-Mori · FORMACIÓN Y CONOCIMIENTO: Dr.Juan Carlos Vara, Dra. María José Muñoz, Dr. Simón Pardiñas · TECNOLOGÍA E INNOVACIÓN: Dr. Luis Cuadrado de Vicente, Dra. Irene García

INTERNACIONAL: Dr. Joao Caramés, Dr. Cristian Abad

Presidente: Ignacio Rojas · Global Manager: Julios Ros ·Director Financiero y de Talento: Daniel R. Villarraso · Director de Eventos: David Rodríguez · Director de Marca y Estrategia: Eneko Rojas · Director de Estrategia de Contenidos: Adrián Beloki · Directora de Estrategia Digital Comercial: María Rojas · Directora de Marketing: Miriam Egea · Business Unit Manager: María Muñoz · Chief Digital O icer: Pau Colás · Chief Technology O icer: Iñaki Uranga

Los artículos científicos y clínicos que se publican en Gaceta Dental son supervisados por un grupo de expertos en las distintas ramas de la Odontología. Gaceta Dental no se identifica necesariamente con las opiniones expresadas libremente en sus páginas por los colaboradores.

Publicación autorizada por el Ministerio de Sanidad como soporte válido. Ref: S.V 89057 R. Premio aeepp a la mejor revista de 2008 | 1er Accesit al Mejor Editor, años 2004 y 2007 | Premio «Pro-Odontología» de la Sociedad Catalana de Odontología y Estomatología (scoe) 2009 | Premio «Fomento de la Salud» del Consejo General, 2005 | Premio del Colegio de Protésicos de la Comunidad de Madrid a la Trayectoria Profesional 2009 | Insignia de oro Colegial del COEM 2013.

AVISO LEGAL Y TRATAMIENTO DE DATOS

La opinión de los artículos publicados no es compartida necesariamente por la revista, y la responsabilidad de los mismos recae, exclusivamente, sobre sus autores. Cualquier forma de reproducción, distribución, comunicación pública o transformación de esta obra solo puede ser realizada con la autorización de sus titulares, salvo excepción prevista por la ley, y en el caso de hacer referencia a dicha fuente, deberá a tal fin ser mencionada GACETA DENTAL editada por Peldaño, en reconocimiento de los derechos regulados en la Ley de Propiedad Intelectual vigente, que como editor de la presente publicación impresa le asisten. Los archivos no deben modificarse de ninguna manera. Diríjase a CEDRO (Centro Español de Derechos Reprográficos) si necesita fotocopiar o escanear algún fragmento de esta obra (www.conlicencia.com / 917 021 970 / 932 720 445). De conformidad con lo dispuesto en el Reglamento (UE) 2016/679 del Parlamento Europeo y del Consejo, de 27 de abril de 2016, relativo a la protección de las personas físicas en lo que respecta al tratamiento de datos personales y a la libre circulación de estos datos y por el que se deroga la Directiva 95/46/CE, y de conformidad con la legislación nacional aplicable en materia de protección de datos, le recordamos que sus datos están incorporados en la base de datos de PELDAÑO MEDIA GROUP, S. L., como Responsable de Tratamiento de los mismos, y que serán tratados en observancia de las obligaciones y medidas de seguridad requeridas, con la finalidad de gestionar los envíos en formato papel y/o digital de la revista, de información sobre novedades y productos relacionados con el sector, así como poder trasladarle, a través nuestro o de otras entidades, publicidad y ofertas que pudieran ser de su interés, de conformidad con el consentimiento prestado al solicitar su suscripción expresa y voluntaria a la misma, cuya renovación podrá ser requerida por Ediciones Peldaño en cumplimiento del citado Reglamento. Le informamos que podrá revocar dicho consentimiento, en cualquier momento y en ejercicio legítimo de los derechos de acceso, rectificación, cancelación, oposición, portabilidad y olvido,

a PELDAÑO MEDIA GROUP, S. L., Avda. Manzanares, 196. 28026 Madrid, o al correo electrónico distribucion@peldano.com.

10 STAFF
dirigiéndose
Odontofobia Estrategias medidas para Tecnología digital Expodental 2024 30.000 profesionales acuden Asepsia en la clínica SUSCRIPCIÓN 1 AÑO SUSCRIPCIÓN 2 AÑOS 50€ 87€ 124€ España Europa Resto 87€ 152€ 194€ España Europa Resto
GACETADENTAL.COM
A LOS DATOS DE SUSCRIPCIÓN
Gaceta Dental · N o 365 | Abril 2024

Profesor Calatayud, ¿por qué decidió publicar un libro de estas características? ¿Por qué en inglés?

—Mi interés por la anestesia en Odontología comenzó desde que tuve contacto con la especialidad (entonces Estomatología), dado que uno de mis tíos, el Dr. Dioscoro Castro, siempre nombraba al que fue director de la Escuela de Estomatología en la Universidad Complutense de Madrid en los años 40, el Dr. Braulio García Uña, que decía que «el dentista que trabaja bien y hace muy bien los tallados, las obturaciones, las extracciones y las endodoncias, pero hace daño, tendrá problemas para trabajar; sin embargo, el que no hace daño, trabajará siempre», y yo quería trabajar. Además, en un trabajo firmado por la Dra. Jennifer, del St. Georges de 2004, sobre los veinte aspectos que más valoran los pacientes de un dentista y de su clínica, se destaca que el primero es no hacer daño al poner la anestesia local y el segundo no hacer daño durante el tratamiento odontológico.

DR. JESÚS CALATAYUD

«Local Anesthesia in Dentistry. A Locoregional Approach»

Desde los aspectos teóricos hasta las aplicaciones prácticas, esta obra, disponible en la Tienda GD, ofrece una visión completa y actualizada de la anestesia local en Odontología, equipando a los profesionales con el conocimiento necesario para administrar anestesia de manera segura, eficiente y cómoda para el paciente.

En cuanto a por qué está escrita en inglés, es porque esto nos permite ir a un público mucho más amplio. El inglés es la lengua de la ciencia en el mundo; lo que se escribe en inglés es leído no solo por la anglosfera, sino por el resto de las comunidades lingüísticas del mundo: la francesa, la alemana, la rusa, la china, la japonesa, etc.

Como nota curiosa, nuestra editora, Wiley, nos ha informado que ha establecido un contrato con Liaoning Science & Technology Publishing House Ltd., en China, para traducirlo al chino simplificado y distribuirlo en ese mercado.

—¿Qué tienen sus capítulos de particular que quiera destacar?

—El libro presenta indicaciones y contraindicaciones muy claras. Actualmente hay pacientes muy medicados y debemos conocer las interacciones, que no son muchas, pero deben de estar claras: los problemas médicos (hipertensión, antidepresivos, anticoagulantes...) y la

12 Gaceta Dental · N o 365 | Abril 2024 QUÉ LEER. Dres. Jesús Calatayud y Mana Saraghi

clasificación ASA (American Society of Anesthesiology).

También aporta métodos, algunos de ellos novedosos, para reducir el dolor durante la administración de la anestesia local y cuáles son las dosis máximas en Odontología (no en Medicina, dado que la pulpa dental es un tejido muy difícil de anestesiar y que solo está en la boca), aportando el criterio de número de cartuchos, que es como pensamos los clínicos en Odontología, y solo informativamente en miligramos por kilogramo. Las técnicas se explican paso a paso y se apoyan con toda la información de los anexos, destacando las técnicas realmente útiles de las que aportan poco, por su limitada eficacia, complejidad o incremento de efectos adversos. Por otra parte, se revisan bien los efectos adversos y se explica cómo manejarlos en la consulta. Y otro elemento muy importante es el manejo de los fracasos, de forma práctica, tratando de minimizar la pérdida de tiempo. En todo el libro hay abundante información cuantitativa (porcentajes, rangos...) expuesta de forma redondeada, clara y útil para el clínico, siempre apoyada por la bibliografía y los anexos. Finalmente, el libro no tiene fotos, solo dibujos. En las imágenes e ilustraciones se ha seguido el criterio de dar la máxima claridad a un determinado concepto; por ello, la mayoría de los dibujos son más esquemáticos que rigurosamente topográficos, de modo que tratan de seguir la filosofía de un gran médico e ilustrador como Frank H. Netter, que decía: «La clarificación de un tema constituye el objetivo y la finalidad de la ilustración».

—¿A quién va dirigida esta publicación?

—Principalmente a odontólogos, estomatólogos, cirujanos orales y maxilofaciales y estudiantes de Odontología.

Por mi experiencia en los cursos que he ido impartiendo por la geografía española, he visto que hay muchas dudas y que nuestros compañeros necesitan más información en un tema tan crítico para nuestro trabajo diario, ya que la anestesia odontológica está todos los días en nuestras consultas.

42 ANEXOS ONLINE COMPLETAN LA OBRA

El libro se presenta en formato impreso, con 512 páginas y 23 capítulos, y formato digital para ebook. Todo ello se complementa con 42 anexos que solo se presentan en formato «online». El objetivo de estos anexos es presentar una gran cantidad de datos e información elaborada, trabajada y ordenada, de modo que la podamos aportar a los capítulos del libro para que esta información apoye los criterios y pautas que indicamos, pero de una manera práctica con datos concretos. Y, al mismo tiempo, no bloqueen la fluidez del texto y la agilidad del libro.

En total, la publicación tiene cerca de 5.000 referencias bibliográficas seleccionadas y algunas repetidas en varios capítulos.

Ficha técnica: Título: «Local Anesthesia in Dentistry. A Locoregional Approach». Autores: Jesús Calatayud y Mana Saraghi. Páginas: 485. Tamaño: 21 × 28 × 3.

13 Gaceta Dental · N o 365 | Abril 2024
Dres. Jesús Calatayud y Mana Saraghi. QUÉ LEER

“La Dra. Saraghi ha sido imprescindible en la revisión del texto, aportando aspectos e ideas importantes en la materia”, destaca el Dr. Jesús Calatayud.

«Hemos hecho el libro de anestesia que a muchos profesionales nos hubiera gustado tener y nunca tuvimos»

—Hábleme de la Dra. Mana Saraghi y de su colaboración en el libro.

—La Dra. Mana Saraghi es directora del Dental Anesthesiology Residency Program, en el Jacobi Medical Center (Bronx, Nueva York); profesora titular interina del Albert Einstein College of Medicine (Bronx, Nueva York); y, actualmente, presidenta del American Dental Board of Anesthesiology. Realmente ha sido una gran suerte contar con ella para este proyecto. Contacté con la Dra. Mana Saraghi en abril de 2018, ya que buscaba a una persona

que fuera un profesor de Odontología joven, competente, que le pudiera interesar este proyecto y trabajara en el mismo, y que fuera del área anglófona, en este caso de los Estados Unidos, y tuve la suerte de encontrar a la Dra. Saraghi.

Ha sido imprescindible en la revisión del texto, aportando aspectos e ideas importantes en la materia. Por ejemplo, enriqueció la parte de la novedosa técnica con Kovanaze®, en la que ella era miembro del equipo de investigación; además de su aportación, en general, por su conocimiento profundo en anestesia y técnicas odontológicas. Por otra parte, ha sido esencial en las negociaciones con las editoriales, en la revisión de los contratos y en todos los aspectos de gestión en inglés.

—¿Qué hace que este sea un libro diferente a otros dedicados a la anestesia en Odontología?

—En el momento actual no hay muchos libros de anestesia local odontológica. El más importante, hasta ahora, era el libro del profesor Malamed, pero Malamed se retiró en 2017 y su última edición es de 2019.

Creo que todo lo que hemos comentado es, en gran medida, novedoso y diferente, y la forma de exposición es más clara. Hemos seguido el criterio del director y guionista estadounidense de origen austriaco Billy Wilder, que dice: «He hecho las películas que a mí me hubiera gustado ver». Nosotros podemos decir lo mismo: «Hemos hecho el libro de anestesia que nos hubiera gustado tener y nunca tuvimos».

—¿Qué contenidos o capítulos son los más destacables?

—Para mí todo sería interesante y destacable, pero por dar una idea más práctica y clínica, diría que los capítulos del bloque de «Técnicas de anestesia local en Odontología», que abarcan desde la técnica básica a las técnicas para la arcada superior o la arcada inferior, las técnicas alternativas, las técnicas especiales para los fracasos o las características con los niños. En todas las técnicas se aborda el enfoque especial para los niños, pero, además, hay un

14 Gaceta Dental · N o 365 | Abril 2024
QUÉ LEER. Dres. Jesús Calatayud y Mana Saraghi
«He visto que hay muchas dudas y que nuestros compañeros necesitan más información en un tema tan crítico para nuestro trabajo diario, ya que la anestesia odontológica está todos los días en nuestras consultas»

¡VISITA LA TIENDA GACETA DENTAL!

Si quieres más información acerca de este libro u otros relacionados con la Odontología o escritos también por el Dr. Calatayud, ya puedes acceder a la Tienda Gaceta Dental. Aquí te esperan más de 200 títulos relacionados con la profesión odontológica.

También puedes suscribirte a nuestra newsletter para estar al día de todas las novedades editoriales del sector dental.

capítulo específico dedicado a ellos. Tengo que recordar que he trabajado muchos años en el departamento que abarcaba la Odontología Infantil (Estomatología IV) en la Facultad de Odontología de la Universidad Complutense.

—¿Qué perspectivas de futuro intuye sobre la anestesia en Odontología?

—La anestesia local odontológica es el mecanismo más importante que tenemos para controlar el dolor producido por nuestros tratamientos y procedimientos. Su uso ha tenido un efecto tan profundo que, actualmente, no se puede contemplar la práctica profesional sin ella; sus ventajas sobre otras técnicas de control del dolor como, por ejemplo, la sedación y la anestesia general en la práctica del día a día son extremadamente altas. Además, la administración de anestesia local es uno de los procedimientos más comunes en la práctica clínica; generalmente es el primer procedimiento en los tratamientos, y si es inadecuada aumenta enormemente las dificultades y los problemas. Por todo lo comentado se seguirán desarrollando métodos para hacer la anestesia local más indolora y más eficaz. En el libro tratamos todas estas novedades, hasta el momento actual, así como sus limitaciones y ventajas. ●

Además, si quieres plasmar tus conocimientos científicos y destreza en Odontología y ponerlos a disposición de tus colegas, ahora puedes publicar tu propio libro. Gaceta Dental pone a tu alcance todos sus recursos y experiencia para ayudarte a editar y publicar tu próxima obra profesional.

Contacta con nosotros y te informaremos de cuáles son las condiciones que te permitirán editar tu propio libro de contenido científico y divulgativo que sea de interés para los diferentes profesionales del sector dental. De forma rápida y sencilla podemos dar vida a tus proyectos.

Manda un email a francisco@ gacetadental.com o jorge@ gacetadental.com y te ayudaremos.

15 Gaceta Dental · N o 365 | Abril 2024
Dres. Jesús Calatayud y Mana Saraghi. QUÉ LEER

Tenemos un libro para cada profesional dental

tienda.gacetadental.com y elige: ¿cuál es el tuyo?

¡Accede a la tienda!

Organiza: Impulsa:

Ciencia y clínica

Rehabilitación oral aditiva utilizando tecnología digital mediante un sistema chairside

A propósito de un caso

Profesor Titular Universidad de Cuenca. Profesor investigador Universidad San Francisco de Quito. Ecuador.

Miguel Ángel Quelal

Residente de la especialización en Rehabilitación oral y Prótesis implantoasistida. Universidad San Francisco de Quito. Ecuador.

David Ruiz

Residente de la especialización en Rehabilitación oral y prótesis implantoasistida. Universidad San Francisco de Quito. Ecuador.

Nancy Mena

Directora Programa especialización en Rehabilitación oral y Prótesis implantoasistida. Universidad San Francisco de Quito. Ecuador.

INTRODUCCIÓN

La Odontología de hoy tiene el propósito de atender la alta demanda de pacientes buscando tratamientos odontológicos estéticos y funcionales, con el objetivo de mejorar alteraciones morfológicas, cambios de color y desgastes y, de este modo, mejorar la apariencia de su sonrisa y elevar su autoestima ante la sociedad (1).

Desde la introducción de las cerámicas vítreas hace más de 20 años, el desafío consiste en ejecutar preparaciones dentales para restauraciones indirectas parciales o totales, mediante desgastes mínimos y conservadores (2).

Actualmente existe una amplia diversidad de materiales cerámicos para sistemas asistidos por computadora (CAD/CAM), con lo cual también hay nuevos criterios para seleccionar el material que mejor se adapte a las respectivas necesidades clínicas (2, 3). Si se suma a esto la posibilidad de rehabilitar

Gaceta Dental · N o 365 | Abril 2024 18 CIENCIA Y CLÍNICA. Caso clínico
CRISTIAN ABAD CORONEL
«La rehabilitación oral basada en herramientas digitales debe estar siempre encaminada a la eficiencia y centrada en el beneficio del paciente en tiempo, presupuesto, preservación del remanente biológico y longevidad de las restauraciones realizadas»

estructuras dentarias perdidas mediante un sistema chairside se confirma una evolución radical en ofrecer tratamientos personalizados, rápidos y efectivos para abordar rehabilitaciones orales extensas (4).

Uno de los factores que ha revolucionado la Odontología actual es, sin duda, el desarrollo del flujo de trabajo digital. La utilización de impresiones digitales empleando un escáner intraoral mejora la veracidad del objeto escaneado cambiando así el paradigma de las impresiones convencionales, además de optimizarse mediante el procesamiento de los datos con el uso de un software y la fabricación de las restauraciones a partir de materiales disponibles en bloques para el efecto (5, 6).

El flujo de trabajo en rehabilitación oral que incorpora herramientas digitales es ejecutable en la práctica, sin embargo, requiere de meticulosidad y apego estricto a los protocolos establecidos.

A partir de los años 80 ya se presentó un sistema CAD/CAM odontológico con varias limitaciones (7). El sistema chairside CEREC fue introducido en 1985 simplificando el trabajo mediante un escáner, software de diseño y una máquina fresadora, creando un flujo de trabajo donde la restauración podía realizarse en una sola cita (8, 9). Mediante este flujo de trabajo asistido por ordenador fue posible fresar bloques cerámicos como IPS Empress CAD (cerámica feldespática reforzada con leucita), que combinan resistencia con alta estética (10).

Esta cerámica evolucionó con un refuerzo de cristales de disilicato de litio (EMAX CAD) con una mayor resistencia, aunque con un valor cromático disminuido. Por ello, en casos estéticos para el sector anterior surgen los bloques policromáticos que otorgan una suave transición de color entre sus capas de dentina e incisal con un alto valor, opacidad a nivel cervical,

Gaceta Dental · N o 365 | Abril 2024 19 Caso clínico. CIENCIA Y CLÍNICA
«El tratamiento restaurador aditivo dentro de la rehabilitación oral completa puede ser un desafío clínico para el profesional. En este caso se demuestra que la fabricación de restauraciones indirectas CAD/CAM proporciona estética y funcionalidad»

fluorescencia y translucidez en el tercio incisal consiguiendo restauraciones de gran belleza y aspecto natural, lo cual la convierte en una cerámica idónea para diferentes indicaciones clínicas, sobre todo, en el sector anterior (10).

El presente artículo tiene por objetivo el reporte de un caso

clínico donde se han puesto en práctica varios conceptos para lograr eficiencia y precisión en una rehabilitación oral completa aditiva mediante un sistema digital con flujo de trabajo chairside.

PRESENTACIÓN DEL CASO CLÍNICO

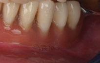
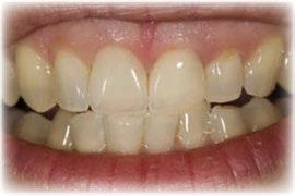
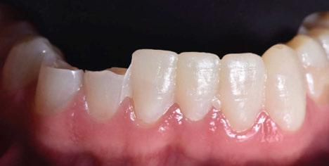
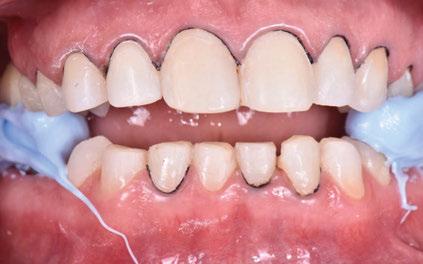
Acude a la consulta un paciente masculino de 35 años exigiendo cambios en la estética de sus dientes. El examen intraoral clínico y fotográfico reveló pérdida de estructura dentaria con facetas de desgaste en dientes anterosuperiores e inferiores, acentuándose hacia zonas oclusales de dientes posteriores.

El diagnóstico evidenció que el paciente presentaba alteración en la dinámica de la guía anterior por el desgaste de los bordes incisales, con pérdida de dimensión vertical oclusal (VDO), alteración del plano de oclusión y relaciones interoclusales inestables (Figuras 1 y 2)

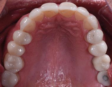
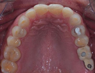
Se obtuvieron modelos de estudio (Figuras 3-6) digitales mediante un escáner confocal de luz azul estructurada (PrimeScan, Dentsply Sirona) y se planificó un protocolo de desgaste mínimamente necesario y conservador de las estructuras

Figura 1. Caso inicial. Figura 2. Vista oclusal superior.
· N o 365 | Abril 2024 20
Y CLÍNICA. Caso clínico
Gaceta Dental
CIENCIA

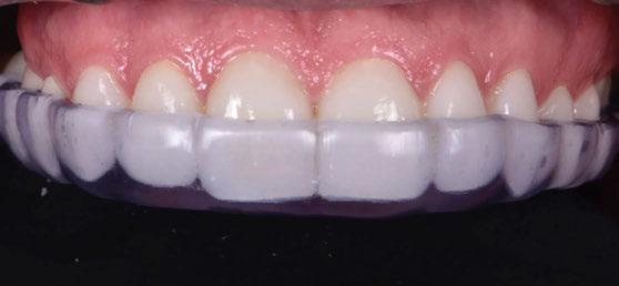
dentarias, cumpliendo parámetros biológicos, terapéuticos, mecánicos y estéticos. Después se realizó un modelado digital retrospectivo (Figuras 7-11) para generar modelos impresos 3D para realizar el mock up funcional, estético y como guía para las preparaciones (Figuras 12-15). Con ello, se efectuaron las preparaciones dentarias y los registros intermaxilares y, posteriormente, se digitalizaron ambos maxilares (Figuras 16-21)

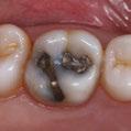
En las piezas 16 y 17 el paciente presentaba restauraciones atornilladas de metalcerámica sobre implantes oseointegrados. Se planificó realizar estas en una fase posterior a la rehabilitación de las piezas dentarias mediante flujo digital con bases de titanio y cuerpos de escaneo.

Terminada esta fase se elaboró una propuesta de diseño (CEREC,

SW 5.2, Dentsply Sirona) (Figuras 22-27), la cual fue materializada en dos tipos de materiales a partir de bloques cerámicos IPS Empress CAD y cerámica vítrea de disilicato de litio IPS E.max CAD (Figuras 28-30)

Finalmente, las restauraciones se cementaron adhesivamente (Figuras 31-35). En las piezas 16 y 17 se realizaron restauraciones cementoatornilladas como última fase de tratamiento. Se recomendó al paciente una férula de protección superior la cual fue elaborada mediante un flujo de trabajo digital (Figura 36)

DISCUSIÓN

El flujo de trabajo en rehabilitación oral que incorpora herramientas digitales es ejecutable en la práctica, sin embargo, requiere de meticulosidad y apego estricto a los protocolos establecidos.

Figura 5. Impresión digital, vista superior derecha. Figura 3. Escaneado maxilar superior zona anterior. Figura 4. Impresión digital, vista superior izquierda.
Gaceta Dental · N o 365 | Abril 2024 21 Caso clínico. CIENCIA Y CLÍNICA
Figura 6. Impresión digital, vista oclusal, maxilar inferior.

CIENCIA Y CLÍNICA. Caso

Figura 7. Modelado digital. Figura 9. Propuesta de diseño en oclusión Figura 10. Vista lateral derecha. Figura 8. Propuesta de diseño arcada superior. Figura 11. Vista oclusal superior del modelado. Figura 12. Mock Up impreso en oclusión. Figura 14. Mock Up que evidencia el desgaste dentario en el maxilar inferior.
22
Figura 13. Mock Up maxilar superior.
clínico
· N o 365 | Abril 2024
Gaceta Dental

CIENCIA

Respecto a materiales, las cerámicas vítreas reforzadas con leucita y disilicato de litio están diseñadas para ser utilizadas como medio aditivo para reemplazar estructura dentaria parcial o total perdida (11).

Las propiedades mecánicas de los materiales cerámicos de disilicato de litio presentan mayor

contenido cristalino, simulando las características ópticas de los dientes naturales, es así como en la revisión narrativa de Vichi y cols 2023 confirma sus propiedades y atributos de color como: luminosidad (amarillos/ azules, verdes/rojos), atributos geométricos como: opalescencia, fluorescencia, metamerismo y

Figura 17. Digitalización maxilar superior e inferior. Figura 18. Digitalización maxilar inferior. Figura 15. Mock Up completo los dientes inferiores Figura 16. Preparaciones y registros interoclusales. Figura 19. Vista lateral, modelo digital inferior. Figura 20. Vista oclusal, modelo digital inferior.
24
Gaceta Dental · N o 365 | Abril 2024
Y CLÍNICA. Caso clínico
Figura 25. Vista oclusal del diseño de las restauraciones en maxilar inferior. Figura 24. Diseño digital de las restauraciones maxilar inferior, vista frontal. Figura 21. Uso del Mock up para la determinación del registro intermaxilar. Figura 23. Diseño en oclusión, vista lateral. Figura 22. Diseño en oclusión. Vista frontal. Figura 26. Diseño digital de las restauraciones.
25 Gaceta Dental · N o 365 | Abril 2024 Caso clínico. CIENCIA Y CLÍNICA
Figura 27. Diseño de las restauraciones en oclusión.

brillo, coincidiendo con la dentición natural (12).

Una revisión sistemática, además confirma los avances en la tecnología con el flujo digital chairside pues los sistemas para diseño y fabricación de restauraciones son cada vez más intuitivos y facilitan un diseño con precisión, además de ventajas como la disminución del tiempo en relación con las citas programadas para el paciente y la entrega de restauraciones terminadas y cementadas por el profesional (4).

El tratamiento restaurador aditivo dentro de la rehabilitación oral completa puede ser un desafío clínico para el profesional. Este reporte de caso clínico demuestra que la fabricación de restauraciones indirectas CAD/CAM proporciona

estética y funcionalidad. Marchesi y cols 2021 determinaron las tendencias actuales de usos clínicos del material empleado en este caso en los dientes anteriores, al ser una cerámica feldespática reforzada con leucita presentando una fase vítrea (55% a 70%) convirtiéndose en uno de los materiales cerámicos más traslúcidos y estéticos usados para restauraciones adhesivas parciales con éxito y vida útil en la cavidad oral. Esto coincide con lo afirmado por Nejatidanesh et al 2018 (13) en su estudio retrospectivo sobre carillas con bloques Empress CAD, donde se evaluó el rendimiento clínico de las restauraciones preservando, en mayor cantidad, la estructura dental con tratamientos conservadores y resultados a largo plazo.

Figura 30. Restauracones impresas vista oclusal superior e inferior. Figura 29. Prueba de las restauraciones en modelo impreso en 3D. Figura 28. Bloques de IPS Empress CAD fresados. Vista frontal.
26
Y CLÍNICA. Caso clínico Gaceta Dental · N o 365 | Abril 2024
CIENCIA
TU CENTRO ODONTOLOGÍA DE FORMACIÓN POSTGRADUADA EN ☑ 70 % PRÁCTICOS ☑ MÁS DE 6000 ALUMNOS FORMADOS ☑ 55 AÑOS DE EXPERIENCIA +34 680 33 83 17 cursos@ceodont.com Acreditado por:
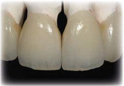
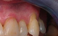
Figura 33. Vista oclusal superior. Figura 34. Vista oclusal maxilar Inferior. Figura 31. Restauraciones cementadas, vista anterior superior. Figura 32. Restauraciones cementadas, vista anterior inferior. Figura 35. Vista en oclusión del caso terminado.
28 Gaceta Dental · N o 365 | Abril 2024
clínico
Figura 36. Férula de protección.
CIENCIA Y CLÍNICA. Caso

Fabricantes de impresoras 3D

Desde hace años, Klockner y Archimedes intentan conjuntamente aportar mejores soluciones para el sector dental. En la era del flujo digital la impresión 3D se ha vuelto cada vez más imprescindible para el trabajo de las clínicas y laboratorios dentales.

Es por ello que se ha decidido aunar esfuerzos y potenciar las sinergias integrando Microlay 3D Printers, el fabricante de impresoras 3D del sector odontológico, a las empresas del grupo Klockner.

archimedespro.com | klockner.es | microlay.com

@archimedes_thinkingpro

«La elección del material restaurador, las preparaciones dentales mínimamente necesarias, la digitalización y el diseño de las restauraciones son pasos claves en el sistema chairside»

un catálogo de biocopia brinda referencias estéticas, de desgaste, de relaciones oclusales dinámicas y estáticas para poder realizar una comparativa e, incluso, trabajar en conjunto con la opinión del paciente. Por ello, pasar directamente del diseño a la materialización sin provisionalización, en determinados casos, como el presentado, suponen ahorro de tiempo, mejores condiciones biológicas y resultados predecibles.

Sería importante destacar que la denominación “preparaciones mínimamente invasivas” podría ser optimizada y reemplazada por el término “preparaciones mínimamente necesarias”. Consideramos que el grosor del material influye en las características mecánicas, estéticas y biológicas de la restauración. Existen casos aditivos puros como presencia de diastemas o, como en este caso, con desgastes severos donde la preparación es mínima, pero debe ser la necesaria respecto a ejes de inserción, ángulos redondeados y superficies planas para un mejor accionar del CAM.

Los pacientes deben conocer estas realidades pues existen muy contados casos donde no se hace ningún tipo de desgaste. Por ello, generalizar este término puede ser perjudicial en la relación entre el odontólogo, el técnico dental y el paciente.

Incluir en la planificación del caso las imágenes digitales en

Finalmente, la selección de la nueva dimensión vertical del paciente puede basarse en datos objetivos y numéricos, que empiezan por determinar la longitud de los incisivos centrales, la posición del borde incisal respecto a los labios del paciente, y la distancia de entre 17 y 20 mm entre los zenits de los caninos ipsilaterales superiores e inferiores (14).

CONCLUSIONES

1. En la rehabilitación oral aditiva con el sistema chairside, las restauraciones CAD/CAM se adaptan a las necesidades clínicas sumando el uso de los materiales restauradores con propiedades físicas y mecánicas ideales personalizadas para cada paciente.

2. La elección del material restaurador, las preparaciones dentales mínimamente necesarias, la digitalización y el diseño de las restauraciones son pasos claves en el sistema chairside para lograr una correcta adaptación a las estructuras dentales con el ajuste preciso a nivel de los márgenes.

3. El material restaurador con cerámica feldespática reforzada con leucita ha mostrado estética y emulación de naturalidad, por lo que lo definen como un material

30
Gaceta Dental · N o 365 | Abril 2024
CIENCIA Y CLÍNICA. Caso clínico

de primera elección para el sector anterior. Para el sector posterior una cerámica feldespática con refuerzo de disilicato de litio es una opción muy recomendable para el éxito de este tratamiento aditivo restaurador.

4. La rehabilitación oral basada en herramientas digitales debe siempre estar encaminada a la eficiencia y centrada en el beneficio del paciente en tiempo, presupuesto, preservación del remanente biológico y longevidad de las restauraciones realizadas. ●

BIBLIOGRAFÍA

1. NEIS CA, ALBUQUERQUE NL, ALBUQUERQUE IDE S, GOMES EA, SOUZA-FILHO CB, FEITOSA VP, SPAZZIN AO, BACCHI A. Surface treatments for repair of feldspathic, leucite - and lithium disilicate-reinforced glass ceramics using composite resin. Braz Dent J. 2015 Mar-Apr;26(2):152-5. doi: 10.1590/01036440201302447. Epub 2015 Apr 1. PMID: 25831106.

2. SAMPAIO FBWR, ÖZCAN M, GIMENEZ TC, MOREIRA MSNA, TEDESCO TK, MORIMOTO S. Effects of manufacturing methods on the survival rate of ceramic and indirect composite restorations: A systematic review and metaanalysis. J Esthet Restor Dent. 2019 Nov;31(6):561-571. doi: 10.1111/jerd.12555. PMID: 31840412.

3. SUGANNA M, KAUSHER H, TAREK AHMED S, SULTAN ALHARBI H, FARAJ ALSUBAIE B, DS A, HALEEM S, MEER ROWNAQ ALI AB. Contemporary Evidence of CAD-CAM in Dentistry: A Systematic Review. Cureus. 2022 Nov 20;14(11):e31687. doi: 10.7759/cureus.31687. PMID: 36561580; PMCID: PMC9767654.

4. BOHNER LO, NETO PT, AHMED AS, MORI M, LAGANÁ DC, SESMA N. CEREC Chairside System to Register and Design the Occlusion in Restorative Dentistry: A Systematic Literature Review. J Esthet Restor Dent. 2016 Jul;28(4):20820. doi: 10.1111/jerd.12226. Epub 2016 Jun 17. PMID: 27312653.

5. MARCHESI G, CAMURRI PILONI A, NICOLIN V, TURCO G, DI LENARDA R. Chairside CAD/CAM Materials: Current Trends of Clinical Uses. Biology (Basel). 2021 Nov 12;10(11):1170. doi: 10.3390/biology10111170. PMID: 34827163; PMCID: PMC8614873.

6. KIHARA H, HATAKEYAMA W, KOMINE F, TAKAFUJI K, TAKAHASHI T, YOKOTA J, ORISO K, KONDO H. Accuracy and practicality of intraoral scanner in dentistry: A literature review. J Prosthodont Res. 2020 Apr;64(2):109113. doi: 10.1016/j.jpor.2019.07.010. Epub 2019 Aug 30. PMID: 31474576.

7. JURADO CA, LEDERMAN R, COHEN J, TSUJIMOTO A. Intraoral Scanning with Rubber Dam Isolation in Place for Fabrication of a Chairside Computer-assisted Design and Computer-assisted Manufacture Ceramic Restoration.

J Contemp Dent Pract. 2021 Aug 1;22(8):943-946. PMID: 34753849.

8. HÖLKEN F, DIETRICH H. Restoring Teeth with an Advanced Lithium Disilicate Ceramic: A Case Report and 1-Year Follow-Up. Case Rep Dent. 2022 Sep 16;2022:6872542. doi: 10.1155/2022/6872542. PMID: 36157203; PMCID: PMC9507783.

9. SANTOS GC JR, BOKSMAN LL, SANTOS MJ. CAD/CAM technology and esthetic dentistry: a case report. Compend Contin Educ Dent. 2013 Nov-Dec;34(10):764, 766, 768 passim. PMID: 24571505.

10. LAMBERT H, DURAND JC, JACQUOT B, FAGES M. Dental biomaterials for chairside CAD/CAM: State of the art. J Adv Prosthodont. 2017 Dec;9(6):486-495. doi: 10.4047/ jap.2017.9.6.486. Epub 2017 Dec 14. PMID: 29279770; PMCID: PMC5741454.

11. REXHEPI I, SANTILLI M, D’ADDAZIO G, TAFURI G, MANCIOCCHI E, CAPUTI S, SINJARI B. Clinical Applications and Mechanical Properties of CAD-CAM Materials in Restorative and Prosthetic Dentistry: A Systematic Review. J Funct Biomater. 2023 Aug 17;14(8):431. doi: 10.3390/ jfb14080431. PMID: 37623675; PMCID: PMC10455074.

12. VICHI A, ZHAO Z, MUTAHAR M, PAOLONE G, LOUCA C. Translucency of Lithium-Based Silicate Glass-Ceramics Blocks for CAD/CAM Procedures: A Narrative Review. Materials (Basel). 2023 Sep 27;16(19):6441. doi: 10.3390/ ma16196441. PMID: 37834578; PMCID: PMC10573117.

13. NEJATIDANESH F, SAVABI G, AMJADI M, ABBASI M, SAVABI O. Five year clinical outcomes and survival of chairside CAD/CAM ceramic laminate veneers - a retrospective study. J Prosthodont Res. 2018 Oct;62(4):462-467. doi: 10.1016/j. jpor.2018.05.004. Epub 2018 Jun 21. PMID: 29936052.

14. CRISTIAN ABAD-CORONEL AND RUBÉN ARINDIA.

“Validation of the Distance between Upper Canine Gingival Margin Zenith to Ipsilateral Lower Canine Gingival Margin Zenith as Method for Determination of the Occlusal Vertical Dimension”. Acta Scientific Dental Sciences 4.9 (2020): 37-42.

31 Gaceta Dental · N o 365 | Abril 2024 Caso clínico. CIENCIA Y CLÍNICA

Ciencia y clínica

Abordaje de conductos con dificultad instrumental

Estrategias y factores a modificar

(1) Profesor Titular y Director del Máster de Endodoncia, Odontología Restauradora y Estética (ENDORE) de la Universidade de Santiago de Compostela (USC).

Autor del libro «Endodoncia para todos».

(2) Profesor Asociado y Director del Máster de Endodoncia, Odontología Restauradora y Estética (ENDORE) de la Universidade de Santiago de Compostela (USC).

Autor del libro «Endodoncia para todos».

Dr. Pepe Martín Cruces

Profesor del Máster de Endodoncia, Odontología Restauradora y Estética (ENDORE) de la Universidade de Santiago de Compostela (USC).

Autor del libro «Endodoncia para todos».

Dra. Miriam Teulé Trull

Profesora del Máster de Endodoncia, Odontología Restauradora y Estética (ENDORE) de la Universidade de Santiago de Compostela (USC).

Autora del libro «Endodoncia para todos».

La Endodoncia, según la RAE, se define como «la rama de la Odontología que se ocupa del estudio y tratamiento de las enfermedades de la pulpa dentaria». Y refleja una segunda definición: «Intervención odontológica que consiste en la extirpación parcial o completa de la pulpa dentaria enferma y en el tratamiento posterior del conducto radicular de la pieza dentaria».

La tendencia actual es realizar tratamientos endodóncicos más conservadores; proteger el tejido pulpar remanente sano; en un presente/futuro cercano reparar/ regenerar el tejido pulpar no viable o necrosado; y la incorporación de nuevas tecnologías.

El tratamiento endodóncico más frecuente sigue siendo la pulpectomía, que consiste en la extirpación total del tejido del sistema de conductos dentario, la desinfección de éste y su sellado tridimensional. En los últimos 30

DR. BENJAMÍN MARTÍN BIEDMA (1)
32 Gaceta Dental · N o 365 | Abril 2024
DR. PABLO CASTELO BAZ (2)
clínico
CIENICA Y
CLÍNICA. Caso
«Con una permeabilización sencilla del conducto hasta la constricción apical, tenemos todas las posibilidades de conseguir la instrumentación de forma predecible y conservadora»

años se ha mejorado de forma sustancial (Figura 1) : somos capaces de diagnosticar de forma más precisa por conocimiento y ayudas tecnológicas. En el campo de la instrumentación, con la aparición de herramientas cuyo diseño, aleación, etc. han contribuido a que el porcentaje de fracturas haya disminuido de manera radical. Asimismo, el conocimiento e investigación de los últimos años hacen posible actualmente realizar una apertura, localización, permeabilización, conformación y terminación de los conductos más precisa y «conservadora».

En la irrigación se necesitan más investigaciones sobre nuevos irrigantes, mejorando, en este punto, el conocimiento de nuevos protocolos sobre irrigación y el desarrollo del concepto de desinfección químicomecánica, con la activación mecánica en la irrigación preobturación.

En el campo de la obturación ha sido el desarrollo integral de la obturación tridimensional del sistema de conductos, incluyendo el conocimiento de cómo debe realizarse la reconstrucción coronal, en cada caso, y los límites del remanente dentinario que debemos tener para que podamos obtener una viabilidad del diente en el tiempo.

OBJETIVOS

El objetivo de este artículo es centrarnos en la parte instrumental de los conductos que presentan dificultades.

Hoy, si conseguimos una permeabilización sencilla del conducto hasta la constricción apical, tenemos todas las posibilidades de conseguir una buena instrumentación, de forma predecible y conservadora, con una secuencia donde los

33 Gaceta Dental · N o 365 | Abril 2024
Figura 1. Fases sobre las que se asienta la Endodoncia hoy. Caso
clínico. CIENCIA Y CLÍNICA

sistemas actuales de instrumentación la simplifican de una forma notoria (Figura 2) :

-Un instrumento de permeabilización: normalmente una lima K del 08 o del 10. Hoy existen instrumentos que permiten realizar una mayor presión sin doblarse y que discurren más fácilmente a lo largo del conducto, como un instrumento manual de acero de diámetro en punta 0,12 mm y conicidad del 1% (Figura 3).

-Un instrumento rotatorio de preinstrumentación: diámetro en punta aproximadamente de 0,15 mm y conicidades muy bajas (alrededor del 3%). La forma clásica de realizarla era por medio de limas K 08, 10, 15 y 20.

-Un instrumento rotatorio de conformación del conducto: normalmente en los sistemas tienen diámetros alrededor de 0,20 mm y conicidades bajas.

-Instrumento rotatorio de terminación: instrumentaremos con un instrumento con diámetro en punta igual o ligeramente mayor que el diámetro menor de la constricción apical.

La instrumentación, en este tipo de conductos, no presenta grandes dificultades, una vez asimilados los

conceptos básicos de la Endodoncia y superada una curva de aprendizaje de la sistemática clínica.

Pero, ¿qué ocurre en aquellos conductos donde tenemos dificultad instrumental? En este tipo de conductos no tenemos que pensar solo en variar la secuencia de instrumentación, sino que tenemos que ver, en cada caso, la estrategia a seguir para poder resolver aquellas dificultades que se nos presentan.

En general, los conductos que presentan dificultades los podemos resumir, a nivel docente, en la regla de los 3 treses (Figura 4) :

-Conductos curvos: conductos de más de 30 o de curvatura y radio de curvatura menor de 3 mm.

-Conductos largos: conductos de más de 30 mm de longitud.

-Conductos estrechos: aquellos conductos donde tardamos más de 3 ciclos en llegar a Longitud de Trabajo (LT). A nivel práctico se determinan en la radiografía preoperatoria (de buena calidad y realizada con paralelizador), donde no se puede apreciar la trayectoria del conducto a lo largo de la raíz (la dirección de la calcificación de los conductos es de fuera al centro de los conductos y de coronal hacia apical).

Figura 2. Secuencia básica de instrumentación con rotación continua cuando no existe dificultad instrumental.
34 Gaceta Dental · N o 365 | Abril 2024
Figura 3. Con instrumentos manuales de acero de 12.01 (lima preK de Endogal) se consigue realizar una mayor presión al tener más metal. Gracias a la conicidad del 1% estos instrumentos a 5 mm de la punta tienen menor diámetro que una lima K 08, haciendo que llegue más fácilmente a LT. CIENICA Y CLÍNICA. Caso clínico

FACTORES A MODIFICAR CUANDO HAY DIFICULTADES OPERATORIAS

Secuencia más progresiva Dentro de los sistemas de instrumentación tenemos instrumentos rotatorios accesorios, que hacen posible que el «salto» entre instrumentos sea menor. En el Sistema Endogal, por ejemplo, sería: 15.03, 20.04, 25.04 y 25.06. Así conseguimos disminuir el estrés por torsión al reducir la superficie de contacto de los instrumentos con la dentina; y disminuimos la fatiga cíclica porque vamos disminuyendo progresivamente el ángulo de curvatura y aumentamos el radio de curvatura (Figura 5)

Tres ciclos para el instrumento de preinstrumentación y conformación

Cuando encontramos una dificultad instrumental, debemos dividir el conducto en tercios: coronal, medio y apical y realizamos 3 ciclos, uno por tercio como mínimo para los instrumentos rotatorios de preinstrumentación y conformación. El ciclo consiste en:

-De forma «didáctica» debemos realizar 1 ciclo por tercio, cuando

tenemos 1 tres o más treses (de la regla de los 3 treses). En el tercio coronal, como norma general, haremos un movimiento de cepillado, con presión hacia las paredes que dan nombre al conducto, y en el tercio apical «in/out».

-Avanzar hasta notar resistencia. Debemos realizar una presión ligera en el instrumento, hasta que notemos una resistencia al avance.

-Retirar 1-2 mm. En ese momento, liberamos de presión al instrumento y lo retiramos 1-2 mm, sin sacarlo del conducto.

-Repetir el proceso un máximo de 3-5 veces o 5-7 segundos. Después de ese tiempo, se considera que las espiras del instrumento están rellenas de detritus, y el instrumento deja de cortar y empieza a rascar, aumentando el estrés del instrumento. En este momento, debemos darle el instrumento a la auxiliar, para su limpieza con agua destilada, desde el mango hacia la punta. Nunca debemos hacerlo con hipoclorito y, mucho menos, sumergirlos en hipoclorito de sodio, ya que, si la punta de un instrumento toca con el mango de otro, se produce una sustracción de metal,

Figura 4. Las dificultades instrumentales en endodoncia pueden tener un origen muy variado pero el % más alto se puede resumir por la regla de los 3 treses.
35 Gaceta Dental · N o 365 | Abril 2024 Caso clínico. CIENCIA Y CLÍNICA
Figura 5. Secuencia operatoria básica en casos de dificultad instrumental.
«El desarrollo de la tecnología NiTI no ha tocado techo. La industria diseñará sistemas de instrumentación más seguros, con mayor capacidad de limpieza, abarcando más superficie y sin modificar la forma inicial del conducto»

que hace disminuir la calidad del instrumento.

-Irrigar 1 cc con hipoclorito: se debe de hacer con agujas de diámetro 30G, hasta notar que la aguja se bloquea y se retiran 1-2 mm, quedando suelta en el interior del conducto. La presión con la que debemos suministrar el irrigante tiene que ser muy ligera, y 1 cc debe llevarnos, aproximadamente, 10 segundos.

-Permeabilizar con lima PreK o con una lima K 08 o 10 hasta LT.

-Irrigar 1 cc con hipoclorito.

Eliminar interferencias coronales

En los conductos con dificultad instrumental nos vemos obligados, en muchas ocasiones, a eliminar más interferencias coronales.

La interferencia coronal es la primera curvatura que existe en la entrada del conducto. Es un triángulo

de dentina que se produce en el tercio coronal (Figura 6), principalmente, con la edad o en patologías crónicas de lenta evolución. Este triángulo de dentina está situado, de forma docente, en la pared o paredes que dan nombre al conducto.

Esto nos dice que, cuando queramos eliminarlas, lo haremos mediante movimiento de cepillado con la presión hacia la pared o paredes que dan nombre al conducto. Estas interferencias las retiramos con puntas ultrasónicas, instrumentos manuales y rotatorios. Normalmente, todos los sistemas tienen un instrumento, específicamente diseñado para esto, con diámetro en punta de 0,20/0,25 mm y conicidad alta. La eliminación de las interferencias hace que disminuya el ángulo de curvatura total del conducto y aumente su radio de curvatura. Con solo esto facilitamos que el resto de instrumentos trabajen de una manera más efectiva.

Hace años realizábamos la eliminación de las interferencias coronales de manera radical, ya que así facilitaba la irrigación y obturación tridimensional del conducto. Las consecuencias de esto fueron el aumento de fisuras y fracturas coronales, con fallos catastróficos dentarios, en no pocas ocasiones.

Hoy en día manejamos la eliminación de las interferencias coronales de un modo individualizado, dependiendo de la dificultad con que trabaje un instrumento en la secuencia que estamos realizando. Si vemos que un instrumento no avanza de una forma normal, pasaremos el instrumento diseñado para eliminar las interferencias coronales.

Los diseños más modernos para hacer preparaciones más

36 Gaceta Dental · N o 365 | Abril 2024
Y
clínico
CIENICA
CLÍNICA. Caso
La asistencia a tu evento profesional gestionada de forma inteligente

Pecket Events

Te ayuda a gestionar y tomar control sobre tu evento de forma segura, ágil y sencilla

Congresos, aniversarios de empresa, formaciones internas, etc

Múltiples niveles de acceso/control

Permite gestionar informes estadísticos en tiempo real

Experiencia de cliente y desarrollo de soluciones a medida: nuestra última razón de ser

pecket.es
GRATIS¡DEMOSIN COMPROMISO! Síguenos en redes:

conservadoras consisten en igualar el diámetro más coronal del instrumento -para eliminar interferencias coronales- con el diámetro coronal de los instrumentos de terminación.

Por ejemplo, en el Sistema Endogal, el instrumento de eliminar las interferencias coronales se llama X, es un 25.09 y a 15 mm de la punta tiene un diámetro de 1,15 mm, igual que todos los instrumentos de terminación del sistema a esa longitud (Figura 7), logrando que las preparaciones sean muy conservadoras.

Disminuir la velocidad

Disminuir la velocidad es un mecanismo de seguridad que puede proteger a un instrumento de la fractura. Esto tiene un rango para cada sistema y se debe saber antes de su uso.

Dependiendo del diseño del sistema, también podemos hacer variaciones que nos hagan los instrumentos más seguros, en caso de dificultad instrumental.

En el caso de los instrumentos Endogal, lo normal en movimiento continuo es 350 rpm y torque 4. Cuando existe dificultad instrumental, podemos bajar las rpm hasta 250 rpm, pero nunca debemos bajar el

torque, por el tipo de sección de los instrumentos.

Utilizar movimiento alterno Es un hecho que el movimiento alterno protege de la fractura, respecto al movimiento continuo. El aprendizaje de la instrumentación rotatoria se debe hacer con movimiento continuo, pero, en casos de dificultad operatoria, podemos cambiarnos a movimiento alterno, si vemos que tenemos posibilidad de riesgo de fractura del instrumento.

Terminación en conicidad .04

Una buena idea, cuando sospechamos riesgo de fractura, es no terminar la secuencia normal operatoria. Y una de las soluciones es realizar la secuencia en conicidad .04, y no en .06, o una combinación de ambas (Figura 8)

La tendencia de la Endodoncia hoy, sobre todo cuando la tecnología en la irrigación y obturación mejoren, será la realización de la instrumentación rotatoria en conicidad .04.

Usar los instrumentos rotatorios como manuales Es la manera máxima de proteger los instrumentos rotatorios: utilizarlos

Figura 6. Eliminación de interferencias coronales con puntas ultrasónicas, instrumentos manuales y rotatorios.
¡CONSIGUE EL LIBRO “ENDODONCIA PARA TODOS”! 38 Gaceta Dental · N o 365 | Abril 2024 CIENICA Y CLÍNICA. Caso clínico
Figura 7. Preparaciones conservadoras porque el diámetro del instrumento específico de eliminación de las interferencias coronales coincide con el diámetro de los instrumentos rotatorios de terminación a 15 mm de la punta.

«ENDODONCIA PARA TODOS»

Todos estos conceptos y muchos más pueden verse en el libro «Endodoncia para todos. Protocolos clínicos necesarios en endodoncia y en la reconstrucción del diente endodonciado», una obra, disponible en la Tienda Gaceta Dental, coordinada por los profesores Benjamín Martín Biedma y Pablo Castelo, que engloba la nueva filosofía de la Endodoncia predecible. Un libro para consultar, pero también para leer y para ver, ya que recoge imágenes deta lladas de casos reales.

Es útil como libro docente, para aquellos estudiantes que quieren conocer cómo ha sido el recorrido a través de la Endodoncia hasta llegar a la reconstrucción. Además, al ser un libro de protocolos, también permite ayudar a detectar los diferentes problemas e indicar cómo solucionarlos. De este modo, resulta ser una guía rápida de consulta que sirve para aquellos profesionales que se enfrentan a un problema clínico y necesitan una respuesta inmediata.

como si fueran manuales. En casos de extrema dificultad podemos hacer primero la secuencia de forma manual con instrumentos rotatorios y después hacerlo de forma rotatoria o combinar manual/rotatoria (Figura 9)

Nuevas aleaciones

Sin duda, las aleaciones de NiTi y el tratamiento térmico de las superficies tienen un gran recorrido y en los próximos años veremos una gran evolución en este sentido.

La tecnología en el NiTi mejorará, tanto en las aleaciones como en los tratamientos de superficie; así como en los diseños de los instrumentos. El desarrollo de esta tecnología no ha tocado techo y seguro que la industria diseñará sistemas de instrumentación más seguros, con una capacidad de limpieza mayor, abarcando un % de la superficie que hoy no es posible y sin modificar la forma inicial del conducto.

CASO CLÍNICO

Poniendo en práctica toda esta estrategia podemos resolver, de una manera predecible, casos que en principio son complejos.

Este caso clínico es un premolar que tiene 3 conductos: sabemos que 2 de ellos son en la raíz vestibular, y

Figura 8. Secuencia operatoria en casos de extrema dificultad instrumental. Figura 9. Recomendación secuencial del tipo de movimiento, dependiendo de la dificultad instrumental del conducto.
39 Gaceta Dental · N o 365 | Abril 2024 Caso clínico. CIENCIA Y CLÍNICA

en el CBCT podemos apreciar a qué longitud del conducto se produce la bifurcación (Figura 10)

Debido a la gran curvatura que se produce en la bifurcación, tenemos que precurvar los instrumentos manuales y rotatorios, para facilitar que los instrumentos alcancen la LT (Figura 11). Terminamos el conducto mesiovestibular y palatino en conicidad .06 y el disto-vestibular en .04 debido al riesgo que pensamos que correríamos si hacemos una secuencia más amplia.

Valorando cada uno de los factores que hemos descrito anteriormente, podemos decidir, para el éxito de este tratamiento, una combinación: secuencia más progresiva; trabajar 3 ciclos por conducto para los instrumentos de preinstrumentación y conformación; eliminación de interferencias coronales con puntas ultrasónicas

«Cuando sospechamos riesgo de fractura, una buena idea es realizar la secuencia en conicidad 0.4, y no en 0.6, o una combinanción de ambas»

e instrumento 25.09; terminar en conicidad .04/.06 según la dificultad del conducto; combinar movimiento continuo y alterno; y usar instrumentos precurvados de manera manual previo al rotatorio. Todo esto hará que resolvamos este caso clínico de manera satisfactoria (Figura 12). ●

Figura 10. Estudio Radiográfico en 2D y 3D del caso clínico. Figura 11. Secuencia operatoria que realizamos en cada uno de los conductos. Figura 12. Secuencia realizada para la obturación con onda continua.
40 Gaceta Dental · N o 365 | Abril 2024
clínico
CIENICA
Y CLÍNICA. Caso

Novedad editorial disponible a partir de marzo

Una guía indispensable para corregir errores y optimizar los tratamientos.

Descubre en este nuevo libro las prácticas erróneas arraigadas en la Odontología, junto con actualizaciones basadas en evidencia científica para mejorar los resultados clínicos y la experiencia del paciente.

Hazte con él en tienda.gacetadental.com

606 948 236

Impulsa:

Ciencia y clínica

Pacientes asmáticos en Odontopediatría (I)

MARÍA FLÓREZ MORA

Alumna del Máster en Odontopediatría y Ortodoncia Interceptiva y Funcional. Universidad CEU San Pablo.

Clara Sandibel Garcete Delvalle

Profesora del Máster en Odontopediatría y Ortodoncia Interceptiva y Funcional. Universidad CEU San Pablo.

Alberto Adanero Velasco

Profesor del Máster en Odontopediatría y Ortodoncia Interceptiva y Funcional. Universidad CEU San Pablo.

Marta Bruna Del Cojo

Profesora del Máster en Odontopediatría y Ortodoncia Interceptiva y Funcional. Universidad CEU San Pablo.

Eva María Martínez Pérez

Directora del Máster en Odontopediatría y Ortodoncia Interceptiva y Funcional. Universidad CEU San Pablo.

Caridad Arias Macías

Directora del Departamento de Odontología. Universidad CEU San Pablo.

El asma es una patología respiratoria crónica que, en la mayoría de los casos, se diagnostica durante la infancia, estimándose que un 10% de los niños la padecen. Cursa con hiperreactividad bronquial y su origen es multifactorial, aunque es frecuente que sea debida a alergias o estar asociada a infecciones virales de temprana edad. Existen una serie de manifestaciones clínicas bucodentales propias de la enfermedad y derivadas de la farmacoterapia asociada, de manera que se hace imprescindible el análisis individualizado de las necesidades de cada paciente para establecer las medidas preventivas más adecuadas para preservar su salud bucodental.

El objetivo de este trabajo es conocer las manifestaciones clínicas extraorales e intraorales de los pacientes asmáticos en Odontopediatría.

Para ello, se realizó una búsqueda bibliográ fica en bases de datos como

42 CIENCIA Y CLÍNICA. Ciencia Gaceta Dental · N o 365 | Abril 2024
«El asma y la farmacoterapia asociada tienen manifestaciones bucodentales en los niños»

Dentistry & Oral Sciences Source, Medline Pubmed, Dialnet Plus y desde el metabuscador EBSCO Discovery Service. Se seleccionaron artículos de los ú ltimos 10 años en inglés y español.

Los autores coinciden en que la enfermedad asmática tiene unas manifestaciones específicas y unas consecuencias debidas a su farmacoterapia. La mayoría relacionan el aumento de prevalencia de caries a la reducción salival producida por la farmacoterapia, aunque algunos autores opinan que el tratamiento intermitente no produce cambios permanentes en las glándulas salivales y salud oral del niño. En otros estudios, esta mayor prevalencia de caries se asocia con los azú cares contenidos en los medicamentos. Por otra parte, la medicación puede producir reflujo gastroesofágico, considerado factor fundamental de la erosión dental.

Además, los autores analizan el patrón respiratorio nasal que es sustituido por respiración oral, produciendo alteraciones craneofaciales como paladar ojival, deglución atípica y mordida cruzada posterior.

Como conclusiones, se ha demostrado que, tanto la enfermedad asmática con sus manifestaciones clínicas orales así como la farmacoterapia asociada, influyen en la salud oral de los niños. Las manifestaciones orales más prevalentes son caries y gingivitis, así como maloclusiones derivadas de respiradores orales. Por ello, requieren un seguimiento específico multidisciplinar, y se debe establecer una prevención bucodental en comú n entre los odontopediatras para reducir sus factores de riesgo propios de su enfermedad.

Palabras clave: Odontología, asma, pediatría, alergia, inhalatorios, salud oral, ansiedad.

43 Ciencia. CIENCIA Y CLÍNICA Gaceta Dental · N o 365 | Abril 2024
Imágenes cedidas por la Dra. Clara Garcete, en Clínica Ciro.

INTRODUCCIÓN

El asma es una enfermedad crónica con una alta prevalencia en pediatría. Se estima que un 10% de los niños padecen esta enfermedad, y que el 85% de ellos lo manifiesta previo a los 5 años (1).

El asma bronquial es una inflamación de las vías respiratorias crónica con afectación obstructiva bronquial, variable en cuanto a duración e intensidad. Por las vías aéreas discurre el aire que entra y sale de los pulmones; si éstas se inflaman provocan un aumento de mucosidad en las paredes haciéndolas más estrechas, e impidiendo una buena circulación del aire y dificultad respiratoria (2-4).

Esta patología se relaciona con hiperreactividad bronquial acompañada de dificultad respiratoria, tos, sibilancias, opresión torácica, entre otros síntomas; y que suele revertir de forma espontánea o con tratamiento. Se considera la enfermedad crónica con mayor afectación en pediatría y su prevalencia varía en función de la edad y lugar de residencia, aunque se aproxima al 10% en la infancia (2, 5, 6).

Su origen es multifactorial, teniendo influencia genética y ambiental durante el desarrollo fetal y postparto en relación con la maduración del sistema inmune del niño. Por lo tanto, el asma es una patología que, en la mayoría de los casos, se diagnostica durante la infancia y se convierte en patología crónica respiratoria en edad adulta, siendo considerada la más frecuente en el mundo (3).

Tipos de asma

En función de los factores que lo desencadenan se diferencian dos tipos de asma: el asma alérgica,

inducida por un factor alérgeno y mediada por IgE; y el asma no alérgica, relacionada con factores irritantes e infecciones (2).

-El asma alérgica. El asma extrínseca o alérgica está relacionada con agentes aeroalérgenos tanto domiciliarios como externos o ambientales, como las gramíneas. Puede comenzar en lactantes y genera una respuesta del sistema inmunológico, IgE. Se da, mayoritariamente, en escolares y adolescentes. Se considera que la alergia es la causa predictiva para el asma en adultos, en relación con su inicio, desarrollo y persistencia de sintomatología. La gravedad del asma junto con una mayor sensibilidad a alérgenos determina el asentamiento del asma como enfermedad crónica en edad adulta; por ello, se denomina asma persistente a aquella relacionada con las alergias (1, 2, 5). En cuanto a su farmacoterapia, suelen responder mejor a los glucocorticoides inhalados, que aquellos pacientes con asma no alérgica (7).

-El asma no alérgica. Existe otro tipo de patología que sería intrínseca y tiene un origen multifactorial, siendo principalmente causada por infecciones virales de temprana edad, exposición ambiental a agentes contaminantes e irritantes químicos. También se incluyen problemas psicológicos, cambios hormonales o factores físicos, entre otros. Su actuación es más variable y desconocida que el asma de causa alérgica, pero tienen un papel relevante en la influencia del asma persistente (2).

Etiología

El asma es una enfermedad multifactorial formada por la

44
Y CLÍNICA. Ciencia Gaceta Dental · N o 365 | Abril 2024
CIENCIA

interacción entre factores del huésped, genética y exposición ambiental. Para analizar los factores de riesgo hay que observar tanto el periodo intrauterino como postnatal, y considerar que todos los factores genéticos tienen asociación con factores ambientales. Además, el entorno en el que se vive influye en el desarrollo de la patología, ya que, por una parte, el medio urbano es más aséptico que el rural, pero, en cambio, se respira mayor contaminación. Se van a describir los distintos factores que conforman la etiología de la enfermedad (1-3):

-Factores genéticos. El estudio del factor genético viene relacionado con la atopia o hipersensibilidad al medio ambiental con origen genético, y mediadores inflamatorios como citocinas quimiocinas o factores de crecimiento (2, 8). Se conoce la influencia genética sobre la enfermedad asmática, ya que aproximadamente 30 polimorfismos de un solo nucleótido están relacionados con el asma. Los genes distinguidos por el nucleótido son el SPRY1/ANKRD50 y SLC7A11/ PCDH18 en el cromosoma 4 y el gen IL2RB en el cromosoma 22, ambos implicados en la evolución de la caries en niños asmáticos. También, se puede considerar importante el gen AMBN rs4694075, ya que dirige el proceso de elongación de los cristales del esmalte y colabora en su mineralización en la etapa inicial de su formación (9). Otro gen identificado con el asma es el ORMDL3. La genética juega un papel fundamental en la aparición del asma (10).

-Género. Los varones tienen mayor riesgo de padecer asma antes de los 14 años, pero a partir de esa edad desciende mientras la incidencia en mujeres aumenta,

«Solo el 10% de los fármacos inhalados se deposita en los pulmones; el resto se acumula en el medio oral, alterando el pH y la microbiota»

por lo que se invierte durante la pubertad, resultando en un 20% mayor en mujeres que en hombres. Esto es debido al menor tamaño de las vías respiratorias frente al de los pulmones en niños, en comparación con las niñas (3, 7, 11).

-Alérgenos. Los aeroalérgenos son el principal factor durante la infancia como desencadenantes del asma y constituyen el asma persistente. Su gravedad es variable en función del alérgeno, tiempo de exposición, la dosis y la edad (2, 5).

-Infecciones. Los virus respiratorios infantiles como el sincitial respiratorio VSR o el causado por virus parainfluenza son estímulos que pueden provocar el desarrollo asma. Esto es debido a que el síntoma de sibilancias es muy frecuente que contin ú e des pués de curar la infección vírica y que contribuya a desencadenar la enfermedad asmática (2).

-Otros. Los niños fumadores pasivos, es decir, hijos de padres fumadores, también tienen mayor probabilidad de padecer asma, manifestándose con sibilancias en el primer año de vida. Asimismo, factores como el tipo de dieta, parto prematuro, entre otros,

45 Ciencia. CIENCIA Y CLÍNICA Gaceta Dental · N o 365 | Abril 2024

pueden influir en la aparición de esta patología durante la infancia. El nivel socioeconómico o la etnia pueden influir tanto por la genética como por el conocimiento que pueden llegar a alcanzar (2, 3, 12).

Dicho esto, el asma puede ser el resultado de la asociación de factores genéticos y ambientales, intrauterinos y extrauterinos, con las características de su entorno que determinarán la maduración y desarrollo del sistema inmune del infante. Esta influencia es com ú n en el desarrollo de patologías respiratorias en edad adulta, como la enfermedad pulmonar obstructiva crónica (EPOC) (3, 11). La gravedad y la sensibilidad a alérgenos marcan la persistencia del asma en edad adulta. Además, se considera que los niños que presentan síntomas tempranos pueden remitir la enfermedad reduciendo su sintomatología; mientras que, a partir de los 5 años, tienen mayor probabilidad de progresar a forma crónica (5).

Diagnóstico

Su diagnóstico es fundamentalmente clínico y tiene en cuenta la reiteración de episodios de crisis y su respuesta al tratamiento. En edad preescolar, los signos y síntomas son leves o ausentes entre episodios. Normalmente, una infección respiratoria de la vía aérea superior es el desencadenante de la crisis asmática, con principal síntoma la dificultad de respiración y que causa una bronquitis. En un niño de 5 a 12 años, la sintomatología entre episodios tiene mayor importancia y determinará la gravedad y respuesta al tratamiento (3).

Durante el seguimiento de la enfermedad hay que considerar

hacer un estudio alergológico. Además, se tiene que medir la saturación de oxígeno en sangre con un pulsioxímetro y así valorar la inflamación bronquial (3, 13).

La espirometría consiste en inspirar y expirar aire para calcular el volumen y ritmo del flujo respiratorio. Esta prueba se realiza a partir de los 6 años. En cuanto al lactante o niño con edad preescolar, se muestra difícil concretar un diagnóstico con exactitud, ya que existen muchas variables como la falta de prueba de función pulmonar, la mejora y ausencia de síntomas de manera efímera. Además, se puede añadir la administración de un broncodilatador de acción rápida para saber cómo sería la respuesta en caso de crisis asmática (2, 5). También es posible realizar una polisomnografía, que consiste en un examen del estudio del sueño, para observar si tienen apnea obstructiva y asociarla a niños asmáticos con respiración oral y con problemas de concentración. Estos niños sufrirán como efecto negativo peor desempeño escolar (14).

En relación con los síntomas, los más predominantes son la tos, aunque suele ser inespecífica; el aumento del trabajo respiratorio o taquipnea; y las sibilancias, que son los sonidos originados por el aire que pasa por la estrechez de las vías respiratorias. En niños mayores son más frecuentes la disnea o dificultad respiratoria, taquicardia, congestión nasal, opresión torácica y expectoración mucosa (5, 15).

Además, el fenotipo alérgico predomina en niños escolares y adolescentes.

En cambio, las crisis asmáticas en lactantes o preescolares derivadas de una infección respiratoria de las vías altas (5).

46
Gaceta Dental · N o 365 | Abril 2024
CIENCIA Y CLÍNICA. Ciencia

En cuanto al tratamiento, hay que individualizar atendiendo a la etiología, factores desencadenantes y respuesta al tratamiento por parte del paciente. Además, hay que educar al paciente informando de los factores que desencadenan su patología y la forma de revertirla (5, 16).

Tratamiento

-Farmacoterapia

•Mediación de mantenimiento. Se utiliza a diario por pacientes que ya han sido diagnosticados de asmáticos, y su función es prevenir episodios durante periodos largos. Estos pueden ser: glucocorticoides inhalados (GCI) o corticosteroides inhalados (ICS9; antagonistas de los receptores de los leucotrienos (ARLT); agonistas b2-adrenérgicos de acción prolongada LABA; antagonistas de receptores muscarínicos de acción prolongada LAMA; y anticuerpos monoclonales y glucocorticoides orales (GCO) (17).

•Medicación en crisis, de rescate. Su uso tiene la finalidad de tratar un episodio de crisis de broncoconstricción y revertirlo de forma rápida. Estos son: SABA inhalados, medicamentos de rescate de elección, ya que act ú an a los 5 minutos de su administración y con una duración de hasta 6 horas; anticolinérgicos inhalados, como el bromuro de ipratropio; y corticoides sistémicos orales o parenterales (17).

La terapia con antiinflamatorios es la más frecuente utilizada, pudiendo cambiar la hiperreactividad bronquial, en tanto que los rescatadores son exclusivos de crisis asmáticas, no recomendados para terapia continua. Además, si un medicamento no es suficiente, es preferible combinarlos antes que incrementar la dosis (2, 5).

En función de la edad se recomienda que los GCI, los LABA y los ARLT se administren a niños menores de 12 años. Los LAMA y GCO, a partir de 6 años, y se emplean cuando la medicación anterior no es suficientemente eficaz (7, 18).

I. Glucocorticoides inhalados. Son los de elección como mantenimiento, pero no recomendados en exacerbaciones de asma, aunque reducen el riesgo de una broncoconstricción severa en caso de crisis. Son utilizados por su alta afinidad con su receptor, permanencia duradera en el pulmón, buen efecto antiinflamatorio y escasos efectos adversos como candidiasis oral o disfonía vocal. Se ajusta la dosis en función de la edad siendo siempre la dosis mínima eficaz con el fin de tener el asma controlada. Los más frecuentes son la Budesonida y Fluticasona (2, 13, 17).

Estos pacientes pueden recibir medicación, tanto oral como inhalatoria, de forma rutinaria para controlar la patología. Al mantener controlada la inflamación de las vías respiratorias, tienen menos probabilidad de que las vías se estrechen y se produzca una crisis asmática. Si la dosis de budesonida es >1000 μ g/día o de fluticasona >500 μ g/día, durante más de 3 meses; se considera la posibilidad de padecer insuficiencia suprarrenal. Por ello, se podría hacer una interconsulta con su médico en el caso de tener que administrar profilaxis de esteroides (19, 20).

II. Antileucotrienos. Son antiinflamatorios de menor potencia que los anteriores. En el caso de que no funcionaran los medicamentos anteriores se emplearían éstos. Además, disminuyen la frecuencia de las

47 Ciencia. CIENCIA Y CLÍNICA Gaceta Dental · N o 365 | Abril 2024
«La xerostomía influye en la colonización bacteriana, incrementando la concentración de Streptococcus Mutans, principal bacteria de la formación de caries»

crisis provocadas por agentes alérgenos o por infecciones (2, 6).

III. Agonistas b2-adrené rgicos de acció n prolongada (LABA). Su empleo se limita a adultos, ya que existe crontroversia entre su uso en menores de 6 años. El nombre comercial más frecuente es el Salmeterol. Suelen ir asociados con un glucocorticoide inhalado, no se utilizan en soledad (2, 13). Como efecto adverso es muy frecuente la reducción del flujo salival y, como consecuencia, producir xerostomía (7).

IV. Anticuerpos monoclonales y glucocorticoides orales (GCO). En casos graves causados por alérgenos se han empleado anticuerpos monoclonales como Omalizumab, con resultados potencialmente positivos, ya que reducen el empleo de corticoesteroides (2).

La mayoría de estos medicamentos son azucarados al tener saborizantes como la lactosa, principal excipiente, que al tener alto poder cariogénico conlleva una mayor tendencia a caries (21).

Además de los Broncodilatadores B-2 de acción larga como el Salmeterol, existen como medicación

de rescate ante una crisis, los de acción corta o SABA, siendo el Salbutamol, Fenoterol y Terbutalina, los más frecuentes empleados. Su acción reduce el broncoespasmo, induce a la liberación de mediadores inflamatorios y disminución del moco, provocando un agrandamiento del calibre del bronquio. Además, tiene varias presentaciones, siendo la más recomendada en inhaladores de dosis media con cámaras espaciadores de volumen. En los de menor edad, es necesario administrarlos con un nebulizador. En casos muy graves o falta de respuesta, se reserva la vía intravenosa de uso profesional. Otro medicamento de rescate sería los anticolinérgicos inhalatorios como el bromuro de ipratropio, que se administra a partir de 6 años, junto con agonistas beta-2 como el Salbutamol. Su finalidad es la broncodilatación rápida, y teniendo de efectos secundarios sequedad bucal y taquicardia. Por ú lti mo, se encuentran los corticoides sistémicos, que se administran de forma oral o parenteral en el hospital, y se consideran la mejor opción como antiinflamatorios para las crisis asmáticas, gracias a su rápido efecto. En cuadros graves, se puede mantener de forma crónica, aunque de manera excepcional (2, 5).

Así pues, la educación sobre enfermedades frecuentes como el asma es fundamental para que los profesionales que las traten sepan en qué se basa y qué criterios hay que tener en cuenta. El objetivo principal del tratamiento es un buen control de la sintomatología y reducir el riesgo de las exacerbaciones, y en el caso de que se dieran, poder revertirlas rápidamente. La elección del fármaco se basa en función de la edad del paciente y su capacidad de

48 CIENCIA Y CLÍNICA. Ciencia Gaceta Dental · N o 365 | Abril 2024

cooperación con la administración, así como el grado de remisión ante exacerbaciones (7).

Influencia de la medicación en la salud oral

Como se ha comentado antes, solo el 10% de los fármacos inhalados se deposita en los pulmones; el resto se acumula en el medio oral, alterando el pH y la microbiota. Lo que lleva a pensar que la medicación tiene un gran efecto sobre la salud oral (21-27).

Los fármacos producen xerostomía, al igual que disminuyen el pH salival, convirtiéndolo en ácido, y generan inmunosupresión, es decir, que pueden originar infecciones como la candidiasis. Los fármacos B2 adrenérgicos como Salbutamol o Terbutalina, y los corticoides

inhalados poseen efectos secundarios sobre la cavidad oral, tales como un aumento del índice de caries y candidiasis oral. Concretamente, los agonistas B2 disminuyen el pH oral y reducen hasta un 35% el flujo salival (1, 19). Con la ingesta de estos fármacos se produce en la saliva un desequilibrio sobre sus componentes, afectando a sus sistemas antimicrobianos. Las variaciones en volumen de secreción y en la composición producen un aumento de riesgo de caries, ya que se produce un desequilibrio de sus componentes protectores que producen un aumento de Lactobacilos y Estreptococos (16, 28, 29).

Por otro lado, los corticoides inhalados son ácidos orgánicos débiles que no suponen una amenaza para el equilibrio del pH, ya que

Y CLÍNICA
Ciencia. CIENCIA
«La medicación, además de afectar a nivel oral, puede tener repercusiones sistémicas, como los B2 agonistas que, al querer revertir la broncoconstricción, producen dilatación del músculo del esfínter esofágico inferior»

orales (31, 32). Un volumen bajo de secreción salival va asociado a la reducción de sus propiedades, entre las que se encuentra la biosíntesis de componentes biológicamente activos como son las proteínas amilasa, hexosamina, lisozima, IgA secretora y peroxidasa salival, considerándose como principales componentes antibacterianos. Los niveles bajos de amilasa indican la falta de función protectora de la saliva, que contribuyen al establecimiento de caries. Es una consecuencia de la inhalación de fármacos agonistas beta-2, anticolinérgicos y glucocorticoides (27, 33-35).

habitualmente no son metabolizados por las bacterias orales. Pero éstos suelen llevar azú cares en su composición, lo que produce un efecto negativo, afectando a la desmineralización y considerándose como factor de riesgo de caries. Además, sus efectos secundarios pueden ser la supresión del sistema inmune local, que incrementa la susceptibilidad a infecciones fú ngicas como candidiasis; así como faringitis, tos, disminución de flujo salival y alteración de su composición. Incluso pueden alterar el gusto, debido a la interacción con la saliva. Los efectos sobre la salud oral se van a desglosar a continuación (26 ,27, 30): -Xerostomía. Los niños asmáticos tienen mayor necesidad de hidratarse al tener sensación de sequedad bucal, ya que los medicamentos inhalatorios para el asma producen xerostomía. La xerostomía es la disminución del flujo salival, siendo la saliva un efecto protector frente a patologías

La saliva protege el medio oral gracias a sus propiedades, en particular su efecto antibacteriano, capacidad amortiguadora de pH o buffer, producción de sobresaturación de fosfato cálcico y, además, al ser líquida, ayuda a la lubricación y limpieza mecánica de la cavidad oral. Los factores protectores de la saliva que regulan el equilibrio de hidroxiapatita son el pH y la concentración de iones fl ú or, calcio y fosfato. Cuando el pH se ve disminuido, el ácido va a contribuir a la desmineralización del esmalte y va a convertirse en más susceptible a caries (7, 36, 37).

La xerostomía influye en la colonización bacteriana, incrementando la concentración de bacterias como Streptococcus Mutans, principal bacteria de la formación de caries. Se considera predominante debido a su poder de colonización, resistencia frente a la placa dental o biopelícula, y por sus factores de virulencia entre los que están la producción de polisacáridos intra y extracelulares que potencian la adherencia de los mismos. Además, produce glucosiltransferasa como

Gaceta Dental · N o 365 | Abril 2024 50 CIENCIA Y CLÍNICA. Ciencia

enzima protectora de la pared en los procesos de polimerización de Streptococcus Mutans (38, 39).

En las glándulas parótidas se encuentran los receptores B-2, y los medicamentos agonistas beta-2 se asocian a los receptores parotídeos, produciendo una disminución en la producción y secreción salival (40, 41). De ahí que la xerostomía se acompaña de mayor concentración de Streptococcus Mutans y Lactobacilos; y como consecuencia, un mayor índice de caries (19, 27, 39).

-Caries. Es complicado encontrar una correlación directa entre asma y caries, ya que ambas son enfermedades con etiología multifactorial; por ello, se van a examinar distintas variables que tienen relación con ambas como el pH salival (1, 19). La saliva crea un efecto protector frente a la desmineralización del esmalte debido a su concentración del ion fosfato cálcico y la presencia de fl ú or; pero con la xerostomía producida por la medicación se convierte en un medio más seco y ácido y con mayor susceptibilidad a caries. Hay que tener en cuenta que los carbohidratos son una causa fundamental de incidencia de caries, y éstos pueden provenir de la medicación. Se suele incluir en la composición de cualquier medicamento como excipiente para dar buen sabor (31).

Un 60% de los fármacos inhalatorios en polvo tienen carbohidratos fermentables como lactosa en su composición. Asimismo, los inhaladores en polvo seco se asocian a una mayor prevalencia de índice de caries (41).

Por ello, una reducción del flujo salival y de pH, sumado a la ingesta de carbohidratos, inducen a un aumento de caries.

-Erosión dental. La erosión dental es la pérdida de tejido duro debida a los ácidos, siendo los factores intrínsecos el reflujo ácido o vómitos excesivos, y como extrínsecos la dieta y refrescos carbonatados. Los niños y adolescentes están en contacto con estos factores y, por lo tanto, corren el riesgo de erosión dental. Los niños con asma tienen mayor riesgo de erosión y más en dentición temporal (7).

La medicación, además de afectar a nivel oral, puede tener repercusiones sistémicas, como los B2 agonistas que, al querer revertir la broncoconstricción, actú an c omo miorelajantes, produciendo dilatación del m ú sculo del esfínter esofágico inferior. Esta consecuencia se

Gaceta Dental · N o 365 | Abril 2024 51 Ciencia. CIENCIA Y CLÍNICA
Imagen cedida por la Dra. Clara Garcete, profesora de Grado y Máster de la Universidad CEU San Pablo.
«La xerostomía y la inmunosupresión producida por los fármacos pueden originar úlceras en la cavidad oral»

encuentra relacionada con el reflujo gastroesofágico, considerado factor fundamental de la erosión dental. El tratamiento para el reflujo sería un medicamento inhibidor de la bomba de protones como el Omeprazol (1, 27). No existe una correlación significativa entre la duración del medicamento y la gravedad de la erosión dental (7). Como los fármacos de tratamiento para el asma reducen el pH, provocan la disolución de la hidroxiapatita lo que da lugar a erosión dental (19, 31).

Otra consecuencia es la reducción de concentraciones de proteínas y amilasa en saliva y, con ello, se disminuye su efecto protector, lo que conlleva el aumento de concentración de Streptococcus Mutans (42-44).

Por ú ltimo, se ha encontrado la existencia de un índice mayor de óxido nitroso espirado en pacientes con asma. El óxido nitroso en contacto con el agua, en la cavidad oral, se vuelve ácido nitroso, considerándose como factor de riesgo de desmineralización del esmalte; aunque hay pocos estudios al respecto (31).

Otra sintomatología originada por la erosión dental es la hipersensibilidad dentinaria que se ha visto presente en pacientes asmáticos (7).

Por otro lado, se considera que los pacientes asmáticos tienen menor cantidad de oxígeno que suministrar

a los ameloblastos activos de la estructura dentaria, por lo que el esmalte puede estar deficiente y tener propiedades más débiles. Si la enfermedad se manifiesta durante los primeros años, la formación del esmalte se verá afectada, pudiéndose dar hipomineralización. Aunque no existe un consenso como tal, se ha observado opacidades severas en niños asmáticos, confirmando su influencia (19, 43).

-Candidiasis oral. La candidiasis es una lesión fú ngi ca que se presenta como placas blancas y blandas que se retiran con una gasa dejando una superficie dolorosa, eritematosa. Su localización más frecuente son las caras laterales linguales, orofaringe y mucosa bucal. Cursa con una disminución de IgA salival y de histatina. Los corticoides inhalados producen esta infección, aunque su grado está asociado a la dosis y frecuencia de empleo. También, los inhaladores de polvo seco son recurrentes generando un empeoramiento de la infección. Su diagnóstico puede ser clínico, pero puede complementarse con un frotis citológico. Su tratamiento suele ser tópico aplicado con gasas de Nistatina 100000U/g (25, 27, 35, 45).

-Respiración oral. El asma cursa con dificultad respiratoria, tos y sibilancias, entre otros síntomas. La falta de capacidad respiratoria hace que los niños respiren por la boca por la necesidad de recibir aire. Numerosos autores coindicen en que la enfermedad asmática y su farmacoterapia se asocia a respiración bucal, deshidratación y xerostomía. Además, la mayor incidencia de respiración oral empeora la gingivitis y enfermedad periodontal por la deshidratación de la mucosa oral (1, 19, 46).

Gaceta Dental · N o 365 | Abril 2024 52 CIENCIA Y CLÍNICA. Ciencia

La respiración oral se da cuando tienen que sustituir el patrón normal de respiración debida a una obstrucción nasal. La enfermedad asmática relacionada con la rinitis alérgica se asocia con alteraciones craneofaciales a causa de la respiración oral que conllevan ambas. Hay pocos estudios al respecto, pero reportan la existencia de factores físicos y fisiológicos como paladar ojival, deglución atípica y mordida cruzada posterior derivados de la respiración oral y que son frecuentes en niños asmáticos (1, 14).

Durante la respiración oral, la posición lingual es baja y causa desequilibrio muscular, que impide el desarrollo craneomaxilar óptimo. El aire que entra empuja el paladar hacia arriba y la lengua al estar en posición baja no produce ning ú n efecto sobre el mismo, causando contracción maxilar. A nivel extraoral, el niño va a tener el «síndrome de cara larga» y, como consecuencia, sufre alteraciones del gusto y olfato, xerostomía, somnolencia diurna, hipersalivación al hablar.

La falta de sueño produce irritabilidad, falta de concentración y ausentismo escolar (14).

En algunos estudios se ha reportado la existencia de lengua geográfica como manifestación intraoral presente en niños asmáticos. Además, los padres han referido halitosis, pudiendo ser por la respiración oral o candidiasis orofaríngea (47). La xerostomía e inmunosupresión causada por los fármacos pueden originar ulceraciones en la cavidad oral (20).

Medidas preventivas sobre higiene oral

La prevención sobre el paciente pediátrico es fundamental y si,

además, el niño presenta alguna patología, es necesario conocer sobre la misma, así como saber cómo manejarla. Tanto los pacientes como los responsables de ellos y los profesionales de la salud deben tomar conciencia sobre las consecuencias que tienen los fármacos sobre la cavidad bucal. Hay que tener en cuenta que la mayoría de las veces, los fármacos inhalatorios se administran por la noche, previo a dormir, y luego no se les cepilla los dientes, aumentando así el riesgo de caries (10, 31). El enguaje con agua y cepillado posterior a la inhalación de los fármacos puede reducir considerablemente la aparición de gingivitis, reducir la placa dental y equilibrar el pH oral. Asimismo, se deben recomendar pastas dentríficas con una concentración adecuada de fluoruro para el cepillado diario de los niños, siendo la cantidad de 1450 ppm a partir de los 6 años; o en casos de riesgo muy alto de caries en menores de 3 años si no fuera así, con 1000 ppm sería suficiente. También, se recomienda un enjuague sin alcohol una vez al día y barniz de fl ú or cada 3-4 meses, ya que son pacientes con mayor susceptibilidad de caries. Las revisiones, a su vez, serán cada 3 meses con el fin de evitar que progrese cualquier patología bucal (6, 19, 33, 46). Todo ello contribuye a evitar que la xerostomía produzca sus efectos secundarios, al igual que se pueden recomendar estimulantes salivales, chicles sin azú car con CPP-ACP, xilitol, entre otros. El xilitol estimula la producción de saliva y, al ser un edulcorante natural, no es metabolizado por las bacterias, su uso frecuente reduce la concentración de Streptococcus Mutans y, por ello, la incidencia cariogénica (27). Además, estos pacientes están doblemente

Gaceta Dental · N o 365 | Abril 2024
54 CIENCIA Y CLÍNICA. Ciencia
«La respiración oral se asocia con mayor riesgo de caries, gingivitis y maloclusiones»

expuestos a la desmineralización dental debida a los azú cares como componentes de la medicación. Por ello, hay que hacer hincapié en la dieta que sigan reduciendo la ingesta de azú cares, tomando control sobre los hábitos dietéticos e higiénicos (1, 33).

La mayoría de los autores coindicen en que la farmacoterapia del asma es la causa principal de las repercusiones sobre la salud bucodental, y no la enfermedad en sí. Pero es prioritario la administración de los fármacos para controlar la enfermedad, a pesar de las consecuencias que puedan desarrollarse sobre la salud oral. Por ello, lo importante es tomar conciencia de unas buenas pautas preventivas que eviten, en la medida de lo posible, perjudicar la salud oral (27).

Estilo de vida

Los niños asmáticos suelen tener restricciones en cuanto a practicar deporte, faltan al colegio y suelen estar más protegidos y consentidos. Además, se asocia a un mayor consumo de bebidas carbonatadas para neutralizar el sabor de la medicación, por consentimiento de los padres para satisfacer a sus hijos frente a la enfermedad (7, 11, 27).

Actuación en la consulta de Odontología

Los pacientes asmáticos tienen una patología crónica que suele

resolverse espontáneamente o respondiendo a la medicación. Pero, a veces, pueden darse brotes o exacerbaciones, poniendo en peligro la vida del paciente, y esto produce un impedimento para llevar una vida normal. En la primera visita, durante la anamnesis, se debe preguntar por las dosis de los fármacos. Si fuese necesario se puede realizar una interconsulta con su médico (19, 32).

En el aprendizaje del manejo odontopediátrico es fundamental conocer las patologías más frecuentes que un odontólogo puede encontrarse. El asma es una enfermedad muy frecuente y, por ello, es necesario saber cómo manejar a estos pacientes. Lo primero es evitar situaciones de estrés, observar al niño que intente estar tranquilo. La anestesia local es el momento que suele generar mayor miedo y, por lo tanto, más nerviosismo a los pacientes. Otra opción es la sedación, destinada para niños con asma estable ASA II. Si la patología es más grave y alguna vez, han requerido hospitalización, la sedación se realizaría en un hospital (19, 48).

Cabe recordar a los padres que es preferible que traigan a cada cita, el medicamento inhalatorio si se diese una crisis asmática. En el caso de no traerlo, el odontólogo debe tener uno del mismo tipo en el botiquín de emergencia de la clínica. Si la patología no está controlada, es preferible posponer el tratamiento dental hasta que se estabilice (19, 49). Si durante el tratamiento el odontólogo observa en el paciente, dificultad para respirar, sibilancias, taquipnea, entre otros síntomas; se para el tratamiento y se administra el medicamento inhalatorio agonista B2 de acción corta o SABA, como el Salbutamol (50-52). ●

Gaceta Dental · N o 365 | Abril 2024 55 Ciencia. CIENCIA Y CLÍNICA

BIBLIOGRAFÍA

1. RAMOS RÍOS JA, RAMÍREZ HERNÁNDEZ E, MIREYA VÁZQUEZ RODRÍGUEZ E, VÁZQUEZ NAVA F. Repercusiones en la salud bucodental asociadas con el asma en niños de 6 a 12 años de edad. Rev Alerg Mex [Internet]. 2017; 64 (3): 270–6. Available from: http://www. revistaalergia.mx

2. NAVARRETE RODRÍGUEZ E, JOSÉ J, SIENRA MONGE L, FIRETH POZO BELTRÁN C. Asma en pediatría. 2016; 59 (4): 5–15.

3. GIL LM, DE LA CRUZ A, LOZANO BLASCO J, GIL M, BLASCO L. Asma: aspectos clínicos y diagnósticos. 2019; 2: 103–15. Available from: www.aeped.es/protocolos/

4. BILITSKI MS, WENZEL S, CATHY, BSN V, AE-C RN, FAHY B ET AL. ¿Qué es el asma? Am J Respir Crit Care Med [Internet]. 2013; 188: 7–8. Available from: www.thoracic.org

5. MORAL L, ASENSI MONZÓ M, JULIÁ BENITO JC, ORTEGA CASANUEVA C, PANIAGUA CALZÓN NM, PÉREZ GARCÍA MI, ET AL. Pediatric asthma: The REGAP consensus. An Pediatr (Engl Ed). 2021 Aug 1; 95 (2): 125.e1-125.e11.

6. SAMEC T, AMAECHI BT, JAN J. Influence of childhood asthma on dental caries: A longitudinal study. Clin Exp Dent Res. 2021 Dec 1; 7 (6): 957–67.

7. SKÖLD UM, BIRKHED D, XU JZ, LIEN KH, STENSSON M, LIU JF. Risk factors for and prevention of caries and dental erosion in children and adolescents with asthma. Vol. 17, Journal of Dental Sciences. Association for Dental Sciences of the Republic of China; 2022. p. 1387–400.

8. CORONA RIVERA J, PEÑA PADILLA C, MORALES DOMÍNGUEZ GE, ROMERO BOLAÑO YM. Genetic aspects involved in asthma. Rev Alerg Mex. 2022; 69 (1): 21–30.

9. ELYASSI GORJI N, NASIRI P, MALEKZADEH SHAFAROUDI A, MOOSAZADEH M. Comparison of dental caries (DMFT and DMFS indices) between asthmatic patients and control group in Iran: a meta-analysis. Asthma Res Pract. 2021 Dec; 7 (1).

10. VALLINA FERNÁNDEZ KELLY C, GRANDE BOLOQUE R, APOITA SANZ M, MONTAÑÉS DE LA FUENTES A, PAREDES RODRÍGUEZ V, HERNÁNDEZ VALLEJO G. Manejo y consideraciones clínicas de los pacientes asmáticos en la consulta dental. CientDent Coem. 2018; 15 (3): 217–24.

11. LÓPEZ PEREIRA P, MARÍA GANDARILLAS GRANDE A, DÍEZ GAÑÁN L, ORDOBÁS GAVÍN M, PATRICIA LÓPEZ PEREIRA C. Evolución de la prevalencia de asma y factores sociodemográficos y de salud asociados en población de 18 a 64 años de la Comunidad de Madrid (1996-2013). Rev Esp Salud P ú bli ca [Internet]. 2017 May 25; 91: 1–14. Available from: www.msc.es/resp

12. BIMSTEIN E, WILSON J, GUELMANN M, PRIMOSCH RE. The Relationship Between Oral and Demographic Characteristics of Children with Asthma. The Journal of Pediatric Dentistry. 2006; 31 (2): 86–9.

13. CORTÉS RICO O. Tratamiento del asma. Rev Pediatr Aten Primaria Supl. 2013; 22:97–103.

14. TREVIÑO SALINAS MB, MUÑOZ MENDOZA D, GONZÁLEZ DÍAS SN, ARIAS CRUZ A, CHAPA RODRÍGUEZ A, RODRÍGUEZ ORTIZ PG. Prevalencia de respiraci ó n ora l y su efecto en el desempeño escolar en niños con alergia respiratoria. Medicina Universitaria. 2009; 11 (42): 17–21.

15. MARTIN REYES BAQUE JI, JARAMILLO BAQUE III Y, HIDALGO ACEBO RI, MARTIN REYES BAQUE J, LISSETTE CAJAPE GONZÁLEZ A, JARAMILLO BAQUE Y ET AL. Características clínicas y epidemiológicas del asma bronquial en niños. 2021; 7 (2): 1371–90. Available from: http:// dominiodelasciencias.com/ojs/index.php/es/index

16. GALLEGOS LÓPEZ L, MARTÍNEZ PÉREZ EM, PLANELLS DEL POZO P, MIEGIMOLLE HERRERO M. Efecto de los medicamentos inhalados en la salud oral de los pacientes asmáticos. Odontología Pediatrica. 2003; 11 (3): 102-10.

17. TORRES BORREGO J, CASANUEVA CO, TORTAJADAGIRBÉS M, BORREGO T, CASANUEVA O. Tratamiento del asma pediátrica. Tratamiento de la crisis de asma. Protoc diagn ter pediatr [Internet]. 2019; 2: 117–32. Available from: www.aeped.es/protocolos/

18. ZDANOWICZ MM. Pharmacotherapy of Asthma. Am J Pharm Educ. 2007; 71 (5).

19. HARRIS C. Asthma and the paediatric dental patient. Dental Nursing. 2013 Sep; 9 (9): 524-7.

20. AYINAMPUDI B, GANNEPALLI A, PACHA V, KUMAR J, KHALED S, NAVEED M. Association between oral manifestations and inhaler use in asthmatic and chronic obstructive pulmonary disease patients. J Dr NTR Univ Health Sci. 2016; 5 (1): 17.

21. ŚWI ĄTKOWSKA-BURY M, KULUS M, OLCZAK-KOWALCZYK D. The use of anti-asthmatic inhalation therapy and the risk of dental caries in a group of Polish children: a prospective study. Eur J Paediatr Dent. 2022; 23 (2): 157-62.

22. GODARA N, KHULLAR M, GODARA R, SINGH V. Evaluation of cariogenic potential of dry powder inhalers: A casecontrol study. Lung India. 2013 Apr; 30 (2): 113-6.

23. ÚBEDA SANSANO M, CORTÉS RICO O, MONTÓN ÁLVAREZ J, LORA ESPINOSA A, PRAENA CRESPO M. Dispositivos de inhalación El Pediatra de Atención Primaria y los dispositivos de inhalación. 2013.

Gaceta Dental · N o 365 | Abril 2024
56
CIENCIA Y CLÍNICA. Ciencia

24. RUIZ COBOS M, ARNALICH JIMÉNEZ M, CASANOVA ESPINOSA A. Tratamiento de mantenimiento y en la exacerbación asmática. Monografía NeumoMadrid XXI. 2013; 87–102.

25. DOCIO DE LERA D. Medicamentos para el tratamiento del asma en niños y sus repercusiones a nivel oral. 2014.

26. SANTOS NC, JAMELLI S, COSTA L, BARACHO FILHO C, MEDEIROS D, RIZZO JA, ET AL. Assessing caries, dental plaque and salivary flow in asthmatic adolescents using inhaled corticosteroids. Allergol Immunopathol (Madr). 2012 Jul; 40 (4): 220–4.

27. GODARA N, GODARA R, KHULLAR M. Impact of inhalation therapy on oral health. Vol. 28, Lung India. 2011. p. 272–5.

28. SANTOS MILANÉS H. Capitulo 87: Utilización de inhaladores [Internet]. Available from: http://www.eccpn.aibarra.org/ temario/seccion5/capitulo67/capitulo67.htm

29. ASHUJA R, NANDINI D, VIDYASAGAR B, ASHWINI R, DONOGHUE M, MADHUSHANKARI G. Oral carriage of cariogenic bacteria and Candida albicans in asthmatic adults before and after anti-asthma medication: A longitudinal study. J of Oral and Maxillofac Pathol. 2018 Jan 1; 22 (1): 144–5.

30. BRASIL OLIVEIRA R, CRUZ ÁA, SOUZA MACHADO A, PINHEIRO GP, INÁCIO D DOS S, SARMENTO VA, ET AL. Oral health-related quality of life in individuals with severe asthma. Jornal Brasileiro de Pneumologia. 2021; 47 (1): 1-7.

31. BRIGIC A, KOBASLIJA S, ZUKANOVIC A. Cariogenic Potential of Inhaled Antiasthmatic Drugs. Med Arch. 2015 Aug 1; 69 (4): 247–50.

32. RIZZO P. Consecuencias en la cavidad bucal del asma bronquial en niños y su prevención. 2013; 7 (1): 40–3.

33. PETERSON A. The Need to Support Underprivileged Asthmatic Pediatric Dental Patients. 2018; 39 (2).

34. ARAFA A, ALDAHLAWI S, HUSSIEN A. Impact of Secretory Immunoglobulin A Level on Dental Caries Experience in Asthmatic Children. Int J Clin Pediatr Dent. 2019 Oct; 12 (5): 414–8.

35. GANI F, CAMINATI M, BELLAVIA F, BAROSO A, FACCIONI P, PANCERA P, ET AL. Oral health in asthmatic patients: a review: Asthma and its therapy may impact on oral health. Vol. 18, Clinical and Molecular Allergy. BioMed Central Ltd; 2020.

36. LLENA-PUY C. The rôle of saliva in maintaining oral health and as an aid to diagnosis. Med Oral Patol Oral Cir Bucal. 2006; 11: 449–55.

37. THOMAS MS, PAROLIA A, KUNDABALA M, VIKRAM M. Asthma and oral health: A review. Vol. 55, Australian Dental Journal. 2010. p. 128–33.

38. BRIGIC A, KOBASLIJA S, ZUKANOVIC A. Antiasthmatic Inhaled Medications as Favoring Factors for Increased

Concentration of Streptococcus Mutans. Materia Socio Medica. 2015; 27 (4): 237.

39. DONG J, LI W, WANG Q, CHEN J, ZU Y, ZHOU X, ET AL. Relationships Between Oral Microecosystem and Respiratory Diseases. Vol. 8, Frontiers in Molecular Biosciences. Frontiers Media S.A.; 2022.

40. ARAFA A, ALDAHLAWI S, FATHI A. Assessment of the oral health status of asthmatic children. Eur J Dent. 2017; 11 (3): 357–63.

41. BOZEJAC BV, STOJŠIN I, Đ URIĆ M, ZVEZDIN B, BRKANIĆ T, BUDIŠIN E, ET AL. Impact of inhalation therapy on the incidence of carious lesions in patients with asthma and COPD. Journal of Applied Oral Science. 2017 Sep 1; 25 (5): 506–14.

42. CÁCERES P, CAROLA T. CONSIDERACIONES DEL ASMA EN ODONTOLOGíA PEDIÁTRICA. Odontol Pediatr. 2006; 5 (2): 13–9.

43. HELI VIEIRA B, MILLENA M, BRANDÃO V. Dental Caries in Children With Asthma: A Mini-Review. Res Pediatr Neonatol. 2021; 6 (2): 505–6.

44.MARKOVIĆ D, PERIĆ T, SOVTIĆ A, MINIĆ P, PETROVIĆ V. Oral health in children with asthma. Srp Arh Celok Lek. 2015; 143 (9–10): 539–44.

45. GUGGENHEIMER J, MOORE PA. The Patient with Asthma: Implications for Dental Practice. Compendium [Internet]. 2009; 30 (4): 200–8. Available from: www.compendiumlive.com

46. CHILLÓN G, DOMÍNGUEZ C, SUAREZ C, DOMÍNGUEZ RA. Repercusiones bucodentales del asma en la infancia y adolescencia. VoxPaediatrica. 2011; XVIII (2): 22–9.

47. DO ĞAN M, ŞAHINER ÜM, ATAÇ AS, BALLIKAYA E, SOYER ÖU, ŞEKEREL BE. Oral health status of asthmatic children using inhaled corticosteroids. Turkish Journal of Pediatrics. 2021; 63 (1): 77–85.

48. RUSSELL L. Dental Anxiety, Dental Health Attitudes, and Bodily Symptoms as Correlates of Asthma Symptoms in Adult Dental Patients with Asthma. Journal of Dental Hygiene [Internet]. 2004; 78 (3). Available from: www. ingenta.com.

49. CHHABRA K, SOOD S, SHARMA N, SINGH A, NIGAM S. Dental management of pediatric patients with bronchial asthma. Vol. 14, International Journal of Clinical Pediatric Dentistry. Jaypee Brothers Medical Publishers (P) Ltd; 2021. p. 715–8.

50. HARRINGTON N, PRADO N, BARRY S. Dental treatment in children with asthma - A review. Br Dent J. 2016 Mar 25;220(6):299–302.

51. GUTIÉRREZ LIZARDI P, GUTIÉRREZ JIMÉNEZ HA. Urgencias médicas en odontología. 2012.

52. GONZÁLEZ RUÍZ I. Urgencias y emergencias en el gabinete dental. Sevilla; 2016.

57 Gaceta Dental · N o 365 | Abril 2024 Ciencia. CIENCIA Y CLÍNICA

Ciencia y clínica Asepsia en la clínica dental

Qué nos ha quedado después del COVID-19

Licenciada en Odontología. Facultad de Odontología. Universidad Complutense de Madrid (UCM).

Máster en Programas Preventivos comunitarios (UCM).

Doctora en Odontología (UCM). Ejercicio de la Periodoncia y de Implantología en exclusiva. Clínica Relaxdent (Madrid). Dicatnte habitual de cursos y conferencias. Autora del libro “Principios de bioseguridad en la clíncia dental”.

as medidas de asepsia en las clínicas dentales han sufrido transformaciones a lo largo de los años. Uno de los primeros momentos en los que se tomó verdadera conciencia del riesgo al que estábamos expuestos en la clínica dental fue a raíz de la aparición del virus del VIH en los años 80. Hasta entonces no se daba verdadera importancia a los procesos de autoprotección y reprocesado del instrumental utilizado. A partir de entonces, las medidas de asepsia se fueron generalizando de manera más reglada en las clínicas dentales hasta que en 2020 apareció una nueva pandemia. El virus del sida nos enseñó la importancia de reprocesar adecuadamente todo nuestro instrumental. No obstante, el virus SARS-cov-2 nos demostró nuestra vulnerabilidad ante un virus de transmisión respiratoria.

Antes de 2020 no era infrecuente ver a compañeros trabajar sin

58 Gaceta Dental · N o 365 | Abril 2024
CIENICA
Y CLÍNICA. Práctica clínica
«La irrupción del SARS-COV2 en nuestro medio nos ha obligado a reforzar nuestras medidas de autoprotección, el manejo de la contaminación ambiental, la desinfección y la esterilización de nuestros equipos e instrumental»

gorro y, en algunas ocasiones, sin gafas de protección. La severidad de las infecciones respiratorias y la alta mortalidad que provocó este virus en todo el planeta ha hecho que tengamos conciencia de la importancia de tomar las medidas adecuadas, no sólo para nuestra protección o la de nuestros pacientes, sino para evitar contagiar a las personas que conviven con nosotros.

El reto de la prevención frente a este tipo de virus la ha marcado su transmisibilidad a través de los aerosoles. Somos una profesión que trabajamos continuamente con agua en forma de aerosol mezclada con la saliva del paciente. Además, trabajamos a una distancia extremadamente corta de la fuente de los aerosoles, que es la boca y la nariz de nuestro paciente (1, 2).

Desgraciadamente, el virus no ha desaparecido. Hemos tomado conciencia del riesgo que supone adquirir una de estas infecciones. Nos hemos dado cuenta de la capacidad que tienen los virus respiratorios de provocar fatales complicaciones en personas susceptibles. Hemos reforzado los controles de bioseguridad en todos los aspectos de nuestro ejercicio diario (Figura 1). A lo largo de este artículo, vamos a repasar todas las normas de bioseguridad que debemos seguir implementando y que podemos agrupar en tres grandes capítulos:

- Nuestra autoprotección (Figura 2).

- El control de los aerosoles.

- La limpieza y el reprocesado del instrumental.

MEDIDAS DE AUTOPROTECCIÓN

Las infecciones cruzadas pueden venir del paciente hacia nosotros, de nosotros hacia el paciente o entre

59 Gaceta Dental · N o 365 | Abril 2024 Práctica clínica. CIENCIA Y CLÍNICA
Figura 1. “Hemos reforzado los controles de bioseguridad en todos los aspectos de nuestro ejercicio diario”, destaca la Dra. Gema Maeso.

paciente y paciente por no haber llevado a cabo una desinfección adecuada y control del ambiente.

Los principios de bioseguridad son fundamentales para evitar las contaminaciones cruzadas. Repasemos cuáles son:

- Universalidad: tratar a todos los pacientes como si fueran portadores, independientemente de la ausencia de sintomatología.

- Uso de barreras.

- Manejo de los residuos.

Al margen de tener en cuenta el principio de universalidad, es fundamental disponer de una completa anamnesis del paciente. En ella debemos tener registrados datos tanto de enfermedades actuales como de posibles infecciones que el paciente haya tenido en el pasado.

Un ejemplo puede ser el paciente que no da importancia a haber sufrido una hepatitis de joven y, sin embargo, seguir siendo transmisor durante el resto de su vida. Ackerman y col (3) encontraron que los pacientes a los que se realiza el cuestionario por escrito dan más información que aquellos pacientes a los que se realiza el cuestionario de forma oral.

Dentro de las medidas de autoprotección, tenemos que hacer hincapié en la vacunación del personal. Recordemos que, por nuestra cercanía al paciente, estamos altamente expuestos a posibles infecciones. Tener completo nuestro calendario de vacunaciones, estar vacunado de la hepatitis B, vacunarse anualmente de la gripe y estar inmunizados frente al COVID es fundamental tanto para protegernos nosotros como para evitar contagiar a nuestros pacientes (4).

La vacunación de la hepatitis B no se introdujo en el calendario

vacunal de manera sistemática hasta 1999 en España (desde 1982 solo se vacunaban los grupos de riesgo y en 1993 se empezó a introducir en algunas comunidades autónomas como Castilla y León). Eso significa que los doctores nacidos antes de 1999 no recibieron una vacunación sobre dicha enfermedad, al igual que los pacientes nacidos antes de esta fecha.

La vacuna de la hepatitis B se compone de tres dosis aplicada 0-1-6 meses. En el estudio de Cléas, realizado entre odontólogos brasileños, se encontró que, pese a haber sido inmunizados de hepatitis B, solo un 37,50 % no tenían anticuerpos frente a la enfermedad (5) y más del 60 % de los participantes en el estudio jamás se había realizado una analítica para comprobar si realmente estaban inmunizados.

USO DE BARRERAS

Durante el periodo en el que estuvimos afectados por la epidemia

60 Gaceta Dental · N o 365 | Abril 2024
Y CLÍNICA. Práctica clínica
Figura 2. Material de autoprotección.
CIENICA

de COVID, la palabra EPI se hizo habitual entre nosotros. Todas las profesiones tienen su equipo de protección individual. Policías, bomberos, albañiles…, utilizan un equipo de protección acorde con los riesgos que conlleva cada profesión. En nuestro caso, nuestro equipo se compone de:

- Pijama: ha de ser resistente a lavados a alta temperatura. Debemos cambiarlo diariamente y no debemos usarlo fuera de nuestra clínica. Idealmente deberíamos disponer de una lavadora en nuestro consultorio para no contaminar nuestra propia lavadora. Por supuesto, no debemos mezclarla con el resto de ropa que utilicemos en nuestros domicilios.

- Gorro: durante nuestros tratamientos dentales, generamos aerosoles que se mezclan con la saliva, sangre e, incluso, detritus de nuestras actuaciones en el interior de la boca de nuestros pacientes. Nuestra cara y nuestros cabellos pueden ser reservorio de dichos microorganismos.

- Gafas y pantallas: los ojos actúan al igual que una herida abierta. Se encuentran a unos 40 cm de la boca del paciente y pueden recibir no solamente microorganismos, sino que pueden sufrir daños físicos y químicos (lesiones por radiación debido a la luz de las lámparas de polimerización, daños por el ácido ortofosfórico utilizado habitualmente en restauradora o daños traumáticos, como impactación de metales, cerámica o acrílicos).

Las gafas de protección evitan la impactación en la conjuntiva ocular, no solo de lo que acabamos de decir,

sino de los aerosoles contaminados por los microorganismos del paciente. Recordemos que nunca debemos tocarnos los ojos con los guantes puestos, pues corremos el riesgo de contaminarnos (Browning y McCarthy describieron un herpes ocular en una higienista) (6). Se trata de un equipo de protección individual de categoría dos, de conformidad con el reglamento de la Unión Europea del 2016/425.

- Calzado: tampoco debemos salir con el calzado fuera de la clínica ni utilizar el zapato que utilizamos en la calle dentro de nuestros gabinetes. Debe cumplir una serie de características (8):

- Fácil de limpiar y desinfectar.

- Cobertura suficiente para evitar que traspasen los microorganismos. A ser posible que no tengan agujeros.

- Ser antideslizantes para evitar caídas.

- Aislantes eléctricos.

-Ergonomía. Hay profesionales que pasan largas horas de pie, por lo que ha de permitir una posición lo más cómoda posible.

- Cumplimiento de la normativa de higiene y seguridad.

- Durabilidad y resistencia.

- Guantes: se utilizan como una barrera direccional de protección de microorganismos. Se fabrican según los requisitos del nuevo reglamento de la Unión Europea 2016/425 relativo a los equipos de protección individual (7). Deben cumplir una serie de características:

- Flexibilidad. Han de ser cómodos y permitirnos tener máxima sensación de tacto.

- Impermeabilidad. La norma 2016/425 es la norma UNEEN374-2:2016 (9) que en su parte 5

61 Gaceta Dental · N o 365 | Abril 2024 Práctica clínica. CIENCIA Y CLÍNICA
«Los principios de bioseguridad son fundamentales para evitar las contaminaciones cruzadas en la consulta dental»

habla de los requisitos en cuanto a los riesgos de protección frente a los microorganismos. Hace una distinción entre guantes, que solo protegen frente a bacterias y hongos de los que, además, protegen frente a la penetración de virus. La protección frente a las bacterias y hongos consiste en la ausencia de agujeros en guantes. Se analizan mediante un ensayo de fuga de agua y de fuga de aire, pero estos ensayos no determinan que puedan tener microporos que permitan la penetración de virus. Para ello se creó un ensayo más específico que es la norma ISO 16604, procedimiento B (10).

- Colocación fácil.

- Los guantes no eximen del lavado de manos previo. En lavado de manos es fundamental para evitar las infecciones cruzadas. La utilización de los guantes de látex no debería ser superior a 15 minutos al igual que los guantes de nitrilo. Los guantes quirúrgicos llevan varias capas que aumentan la durabilidad de los mismos intraoperatoriamente.

- Batas: aparte de la protección que nos proporciona el pijama, en algunos casos necesitaremos utilizar las batas quirúrgicas. La protección

del uniforme del trabajador a ser resistente a las salpicaduras de fluidos biológicos o secreciones procedentes del paciente. Este tipo de ropa debe cumplir con la norma UNEEN 14126:2004. Estas normas hablan de una serie de ensayos que deben cumplir dependiendo de si su diseño requiere impermeabilidad o protección adicional. Se recomienda que este tipo de ropa sea desechable, pues al eliminar se evitan las fuentes posibles de contagio (11).

Las batas quirúrgicas son productos sanitarios que, además, son Epi. Se trata de un producto dual. Por ello, deben cumplir con la legislación de equipo de protección individual y de productos sanitarios.

Las batas deben utilizarse de manera rutinaria en la preparación de los campos quirúrgicos. Además lógicamente de en la cirugía, un procedimiento en el que trabajamos con salpicaduras de sangre potencialmente infectada donde nos proporcionan una protección extra frente a dichas salpicaduras. Se trata de un producto sanitario y ha de cumplir la normativa relativa al uso, fabricación y reprocesado de los mismos (12).

- Mascarillas. Son la principal barrera de protección frente a la penetración de los aerosoles en nuestro tracto respiratorio. Dependiendo del diseño y de la cantidad de capas dispondremos de distintos tipos.

La mascarilla quirúrgica es la más utilizada en nuestro día a día. Ofrece una protección bidireccional. Se trata de dispositivos médicos de clase uno que están compuestos por versiones de tres y cuatro capas. Han de superar los requisitos que marca la norma EN14683 (13).

62 Gaceta Dental · N o 365 | Abril 2024
Y CLÍNICA. Práctica clínica
CIENICA

¡Eficacia y para la adhesión más exigente! facilidad

EL ÚNICO ADHESIVO UNIVERSAL DE CURADO DUAL EN SINGLEDOSE

• Libertad ilimitada:

– Todas las técnicas de grabado – todas las indicaciones – todos los composites (sin activador)

• Una aplicación completamente segura por el SingleDose:

– Se aplica en una capa - sólo se necesitan 35 segundos para trabajarlo

– Aplicación simple, rápida e higiénica

• Probado un millón de veces desde hace 10 años, calidad made in Germany

Futurabond® U VOCO GmbH · Anton-Flettner-Straße 1-3 · 27472 Cuxhaven · Alemania · Línea gratuita 00 800 44 444 555 · www.voco.dental

Las mascarillas quirúrgicas deben prevenir la transmisión de microorganismos por aire y garantizar la transpiración. Llevan filtros antipartículas y antibacterianos con unos elásticos que facilitan su colocación en las orejas. En la zona de la nariz suelen llevar una pieza metálica que favorece su adaptación al puente. Las mascarillas FFP2 tomaron relevancia después de la aparición de la pandemia de COVID. Se trata de un Epi de categoría 3 que tiene un índice de filtración más elevado. Se rigen por la norma EN149:2001 + A1:2009 (14).

ELIMINACIÓN DE LOS RESIDUOS

En nuestra clínica debemos estar dados de alta como productores de residuos (15). La normativa nos obliga a recoger los materiales biocontaminados y punzantes en unos contenedores específicos y tener contratada a una empresa que se encargue de su recogida e incineración posterior.

Los materiales que generamos en una clínica dental pueden agruparse en cuatro grupos:

-Residuos sin riesgo. Se subdividen en Grupo 1 (materiales como el cartón, papel o envases de plástico, metal o materia orgánica) y los del Grupo 2 que engloba materiales de cura, algodones, gasas, guantes, mascarillas, etc., que pueden estar contaminados, pero no requieren una gestión específica fuera del centro sanitario.

- Residuos con riesgo específico Grupos 3 y 4. Los Grupos 3 deben esterilizarse por autoclave para posteriormente ser triturados. Dentro de ellos englobamos las agujas, material, punzante, cultivos y reservas de agentes infecciosos, residuos anatómicos, residuos sanitarios que puedan transmitir alguna enfermedad infecciosa o recipientes que no se puedan vaciar de sangre y hemoderivados, de forma líquida. Los del Grupo 4 han de ser incinerados en instalaciones específicas y son aquellos residuos citotóxicos, sustancias químicas como las generadas por el revelado

64 Gaceta Dental · N o 365 | Abril 2024
Figura 3. Sala de esterilización. CIENICA Y CLÍNICA. Práctica clínica

de nuestras radiografías, restos de medicamentos, caducados, residuos radiactivos o pilas o fluorescentes. Como propietarios de clínicas dentales, estamos obligados también a tener una empresa encargada de la eliminación de sustancias químicas, como el filtro de las amalgamas o los líquidos de revelado (16).

Al finalizar nuestra consulta, los materiales contenidos dentro de las bolsas de basura deberán ir en bolsas cerradas al contenedor para su recogida. Estas bolsas no se deben comprimir, manipular, vaciar, ni arrastrar por el suelo.

CONTROL DE LOS AEROSOLES

La práctica odontológica conlleva la utilización continua de aerosoles procedentes de nuestro rotatorios y jeringas de agua en el interior de la boca del paciente. Estos aerosoles se mezclan con la saliva, sangre y detritus de la eliminación de los tejidos dentarios que estamos realizando y generan un aerosol alrededor de la cabeza del paciente que puede alcanzar los 120 cms. Además de los aerosoles generados por nosotros, desde la aparición de COVID hemos tomado conciencia de los aerosoles generados por la respiración del propio paciente.

Para conseguir un control de los aerosoles en Odontología, debemos seguir una serie de recomendaciones:

- Uso sistemático de los equipos de protección individual, tanto en el gabinete como en la sala de esterilización (Figura 3).

- Enjuague del paciente previo al tratamiento con cloruro de cetilpiridinio o clorhexidina (17, 18).

- Utilización de doble o triple método de aspiración (Figura 4).

Utilizaremos la cánula de aspiración normal y mientras estamos

generando aerosoles utilizaremos cánulas de boquilla ancha o dispositivos de aspiración, adaptados a la aspiración quirúrgica para minimizar los aerosoles. En algunos casos se han utilizado dispositivos de gran volumen para aspirar el aerosol generado.

El estudio de He y colaboradores (19) muestra una reducción de las salpicaduras alrededor de la zona operatoria utilizando los tres métodos de aspiración a la vez.

-Control del aire circulante. En los casos en los que no estemos realizando tratamientos quirúrgicos, es fundamental poder ventilar la sala, a ser posible trabajar con la ventana abierta. En muchos casos trabajamos en locales que carecen de ventanas al exterior. En esos casos deberíamos diseñar el circuito de aire acondicionado y ventilación

UN LIBRO ESENCIAL PARA TODO EL EQUIPO DE LA CLÍNICA

Hepatitis, viruela del mono, polio, gripe, bacterias…, además del COVID, son algunas de las amenazas a las que estamos expuestos en una clínica dental. Si quieres conocer cómo actuar y romper la cadena de contagio y proteger la salud de todos, la lectura de «Principios de Bioseguridad en la Clínica Dental» de la Dra. Gema Maeso te resultará muy útil e interesante. Un libro de lectura obligada para todo el equipo de la clínica dental.

65 Gaceta Dental · N o 365 | Abril 2024 Práctica clínica. CIENCIA Y CLÍNICA

generando una expulsión del aire de cada sala forzada e individualizada al exterior. De este modo, no se mezclarán los ambientes de las distintas salas. Desgraciadamente, muchas clínicas no disponen de este tipo de circuitos de ventilación. Se han diseñado distintos aparatos de filtros HEPA para ayudar al filtrado del aire contenido en cada sala. Debemos trabajar con la puerta cerrada para evitar la dispersión de los aerosoles al resto de la consulta.

Métodos de eliminación de microorganismos en suspensión. Desde hace mucho tiempo, se han utilizado diferentes métodos de desinfección de ambientes principalmente para uso quirúrgico. Uno de los primeros en utilizar un vaporizador de ácido fénico fue Joseph Líster en el siglo XIX. La utilización de este aerosol redujo la mortalidad en los quirófanos de un 50 a un 15%. Además de la utilización del ácido fénico, propuso la esterilización de los instrumentos.

En la actualidad se utilizan nebulizadores con distintos productos químicos y la utilización de distintos tipos de luces ultravioletas. La luz ultravioleta, principalmente la tipo C, está siendo utilizada en quirófanos para la neutralización de los microorganismos en dispersión. La desventaja de este tipo de lámparas es su inactividad en las superficies con sombra. Estas lámparas también se han utilizado para esterilizar el flujo de aire en los conductos de aire acondicionado. Zimmerman en los años 50 ya habló de la utilización de rayos ultravioletas para la desinfección del agua (20). Fickenscher demuestra que la aplicación de robots con ultravioletas disminuye la cantidad de patógenos en las salas de cirugía. La limpieza química de las superficies es también fundamental para lograr una correcta asepsia (21).

Control de los aerosoles dentro de las salas de máquinas. Para el funcionamiento de nuestras unidades dentales utilizamos compresores y motores de aspiración. Habitualmente disponemos de una sala donde tenemos dichos motores. El aire expulsado por el motor de la aspiración está contaminado por el aire de la cavidad bucal de nuestro paciente. Si no disponemos de un filtro adecuado o un tubo que expulse dicho aire exterior, estaremos contaminando el aire dentro de dicha sala. Asimismo, el compresor coge aire de dicha sala para el funcionamiento de las turbinas o la jeringa de aire. Lógicamente, si ese aire está contaminado por el expulsado de la aspiración estaremos introduciendo microorganismos contaminados dentro de la boca de los pacientes. Tenemos dos soluciones: conducir

Figura 3. Método de doble aspiración.
66 Gaceta Dental · N o 365 | Abril 2024
CIENICA Y CLÍNICA. Práctica clínica

el aire expulsado por esos motores de aspiración al exterior mediante tubos o bien la utilización de filtros HEPA en los motores de aspiración. Es importante tener este aspecto en cuenta también en los motores de aspiración que se encuentran en el mismo box junto al sillón, dentro de nuestro gabinete, pues en ese caso los que estaremos inhalando ese aire contaminado seremos nosotros.

CONDUCCIONES DE NUESTROS

EQUIPOS: LEGIONELOSIS Y OTROS MICROORGANISMOS

Las conducciones dentro de nuestros equipos dentales han sido motivo de controversia en cuanto a la transmisión de posibles infecciones. El interior de dichas conducciones suele estar recubierto por un biofilm que puede contaminar a nuestro paciente. El RD 487/2022 regula las posibles contaminaciones por legionelosis dentro de la clínica dental (22).

La legionelosis es una enfermedad bacteriana que suele aparecer en brotes comunitarios y se caracteriza por una neumonía con fiebre alta. Existe una forma no neumónica que tiene un pronóstico más leve y se llama fiebre de Pontiac.

En el caso de su aparición, hay obligación de declararlo a las autoridades (RD 2210/1995 del 28 de diciembre). Suele estar asociada a dispositivos donde se encuentra el agua estancada. Es frecuente que aparezca en torres de refrigeración (sistemas de distribución de agua fría o caliente, spas o bañeras terapéuticas, cisternas o depósitos de agua, riegos por aspersión, etc.). Se trata de una bacteria que tiene una supervivencia en rangos de temperatura entre 20 y 50°C. La norma ha estimado oportuno favorecer las acreditaciones de

laboratorios para la determinación mediante cultivo de la legionella y tomar muestras para su análisis. En su artículo 9 habla de un plan sanitario frente a la legionella, recomendando una frecuencia de toma de muestras para su análisis.

¿Y qué es lo que nos dice la experiencia en nuestro campo? Nuestros equipos dentales pueden tener agua estancada en su interior que permita el desarrollo de un biofilm contaminado por diferentes microorganismos como la pseudomona aeruginosa o legionella, que sí afecta a un paciente inmunocomprometido puede tener un desenlace fatal.

La revisión sistemática de Petti y colaboradores no demuestra evidencia científica en cuanto a la exposición a legionella entre 1.172 trabajadores de salud oral (23). Pankursh y col analizaron 266 Unidades Dentales en Londres y norte de Irlanda y solo encontraron legionella en 0,37 % (un solo caso en Londres).

También se realizó serología entre los dentistas encontrando valores muy bajos de anticuerpos. No es este el único estudio que encuentra presencia de legionella en unidades dentales (24, 25), aunque apenas se dan casos demostrables de brotes de este microorganismo en clínicas dentales.

Existen varios tipos de unidades dentales: equipos que reciben el suministro de agua procedente de la red municipal y otros que se abastecen de botellas o depósitos, donde se almacena el agua. En todos los casos debemos hacer circular el agua tanto por la escupidera como por las mangueras y jeringa del equipo antes de comenzar nuestra jornada.

En aquellos casos en los que disponemos de una botella o depósito que almacena el agua, hemos de cambiar ese agua diariamente.

67 Gaceta Dental · N o 365 | Abril 2024
clínica. CIENCIA Y CLÍNICA
¡CONSIGUE TU EJEMPLAR DEL LIBRO!
Práctica

REPROCESAMIENTO DEL INSTRUMENTAL

Una vez que hemos terminado nuestro tratamiento en el paciente, tendremos que dejar el gabinete listo para que el siguiente en sentarse lo haga de una forma completamente segura. Para ello vamos a seguir los siguientes pasos:

1. Ventilar la sala.

2. Dejar circular agua por la escupidera y aspirar por nuestras mangueras.

3. Desinfectar el equipo, limpiando siempre de lo menos contaminado a lo más contaminado. Utilizaremos toallitas desinfectantes, cambiándolas cada vez que cambiemos de superficie. Todo este procedimiento lo realizaremos utilizando nuestro equipo de

protección individual (mascarilla, guantes, gorro…).

4. Trasladaremos el instrumental contaminado de forma segura a la sala de esterilización.

5. Todo nuestro instrumental pasará meticulosamente por todos los pasos del reprocesado de instrumental, guardando los registros de los procesos y su validación mediante test acordes con el proceso (26, 27).

El procedimiento se realizará dentro de la sala de esterilización protegidos con gafas, guantes, delantal impermeable y mascarilla. Dicha sala se recomienda que esté separada de nuestro gabinete. No son necesarios demasiados metros cuadrados, pero sí es importante disponer de una pila con agua corriente y la aparatología necesaria para realizar el reprocesado (28).

Lo primero que haremos será sumergir el instrumental dentro de un líquido desinfectante. Si no vamos a reprocesarlo inmediatamente, podremos dejarlo dentro de una cubeta en remojo, pues si la suciedad se llega a secar será mucho más difícil de remover posteriormente. En estos casos se puede utilizar un detergente enzimático. La función de la desinfección consiste en dejar el instrumental lo más seguro posible para nuestra manipulación, pues la mayoría de los accidentes no suceden delante del paciente, sino en la sala de esterilización, donde tenemos instrumental mezclado de diferentes pacientes.

A continuación, procederemos a la limpieza de dicho instrumental (Figura 5). Esta limpieza puede llevarse a cabo de de forma manual (con el sumergido lo limpiaremos para evitar salpicaduras) o de forma mecanizada mediante cubetas de

68 Gaceta Dental · N o 365 | Abril 2024
Figura 5. Limpieza de instrumental, sobre la encimera vemos una cubeta de desinfecci ó n man ual y a su derecha una cubeta le limpieza ultrasó nic a, abajo una termodesinfectadora.
Práctica clínica
CIENICA Y CLÍNICA.

YOUR COMPLETE RESTORATIVE SOLUTION

El composite universal Transcend™ es el nuevo miembro de la familia de restauradores Ultradent Products. Gracias a su sistema patentado Resin Particle Match™ es posible hacer restauraciones completas con una sola masa (un solo color) eliminando la necesidad de un opaquer. Proporciona una experiencia sin precedentes.

COMPOSITE UNIVERSAL LÁMPARAS DE POLIMERIZACIÓN ADHESION Y GRABADO NEW MATRIZ SECCIONAL ACABADO
ULTRADENT.ES | info@ultradent.es 696 616 752 Área Norte - 616 982 237 Área Levante - 699 888 731 Área Centro

ultrasonidos o termodesinfectadora (29). La mecanización del proceso tiene la ventaja de reducir el tiempo de trabajo de nuestro equipo auxiliar, reduce costes, disminuye el número de accidentes, y proporciona una forma estandarizada y validadable de limpieza.

Sobre la encimera tenemos una cubeta de desinfección junto a una cubeta de limpieza ultrasónica. Abajo vemos una termodesinfectadora.

Una vez que tenemos el instrumental correctamente lavado y desinfectado procederemos a su secado meticuloso, inspección y reparación si procede y embolsado. Los rotatorios han de someterse a limpieza, desinfección y engrasado para después ser embolsados y esterilizados en el autoclave. Introduciremos las bolsas de instrumental selladas dentro de nuestro autoclave tipo B (30). Los autoclaves tipo B se rigen bajo la norma UNE-EN 13060. Son los llamados

«Las conducciones dentro de nuestros equipos han sido motivo de controversia en cuanto a la transmisión de posibles infecciones»

pequeños esterilizadores y cumplen la misma función que los autoclaves grandes de hospital. Son los únicos que nos aseguran una esterilización en el interior de lúmenes y cavidades huecas como son las turbinas. Utilizan agua destilada que se puede comprar o destilar en la consulta. Existen máquinas que osmotizan el agua para su uso en el autoclave o para la limieza del instrumental (Figura 6)

Cuando el proceso de esterilización termina procederemos a su almacenaje. Según la normativa vigente en cada comunidad autónoma, tendremos que respetar los procesos de validación, como son los test de esporas o los Bowie Dick (31).

CONCLUSIONES

Cada día pasan por nuestros gabinetes pacientes potencialmente infecciosos. Es nuestro deber y responsabilidad mantener unos estándares de calidad en cuanto a principios de bioeguridad para evitar las infecciones cruzadas entre los pacientes. La irrupción del SARS-CoV2 en nuestro medio nos ha obligado a reforzar nuestras medidas de autoprotección, manejo de la contaminación ambiental, la desinfección y esterilización de nuestros equipos e instrumental. ●

70 Gaceta Dental · N o 365 | Abril 2024 CIENICA Y CLÍNICA. Práctica clínica
Figura 6. La calidad del agua es fundamental para el mantenimiento de los equipos, los aparatos de ósmosis inversa nos ayudan a conseguir agua desionizada para los autoclaves.

BIBLIOGRAFÍA

1. BIZZOCA ME, CAMPISI G, MUZIO LL. Covid-19 Pandemic: What Changes for Dentists and Oral Medicine Experts? A Narrative Review and Novel Approaches to Infection Containment. Int J Environ Res Public Health. 2020 May 27;17(11):3793. doi: 10.3390/ ijerph17113793. PMID: 32471083; PMCID: PMC7312076.

2. MUPPARAPU M. Editorial: Dental practitioners’ role in the assessment and containment of coronavirus disease (COVID-19): Evolving recommendations from the Centers for Disease Control. Quintessence Int. 2020;51:349–350

3. ACKERMANN O, ECKERT K, VON SCHULZE PELLENGAHR C, LAHNER M. Die Anamneseerhebung mittels Fragebogen - sicher und effektiv [Taking the anamnesis with a questionnaire - safe and effective]. Z Orthop Unfall. 2015 Apr;153(2):142-5. German. doi: 10.1055/s-0034-1383358. Epub 2015 Apr 14. PMID: 25874391.

4. SCHMIDT J, PERINA V, TREGLEROVA J, PILBAUEROVA N, SUCHANEK J, SMUCLER R. COVID-19 Vaccination among Czech Dentists. Vaccines (Basel). 2022 Mar 11;10(3):428. doi: 10.3390/ vaccines10030428. PMID: 35335060; PMCID: PMC8953980.

5. GARBIN CAS, VANZO KLT, MOIMAZ SAS, GARBIN AJÍ, CHIBA FY. Vaccination coverage and immunity against hepatitis B in public health dentists. Rev Soc Bras Med Trop. 2019 Jun 27;52:e20180534. doi: 10.1590/0037-8682-0534-2018. PMID: 31271621.

6. BROWNING WD, MCCARTHY JP. A case series: herpes simplex virus as an occupational hazard. J Esthet Restor Dent. 2012 Feb;24(1):61-6. doi: 10.1111/j.1708-8240.2011.00469.x. Epub 2011 Aug 30. PMID: 22296698; PMCID: PMC3437498.

7. Reglamento UE 2021/425

8. BOE NÚM 293, 8 DIC 2021. Ref BOE-A-2021-20261. Real decreto 1076/2021, de 7 de diciembre, modificación del Real decreto 773/1997, del 30 de mayo, sobre disposiciones mínimas de seguridad y salud relativas a la utilización por los trabajadores de equipos de protección individual.

9. UNE-EN 374-2:2016

10. ISO 16604

11. UNE-EN 14126:2004

12. BOE» núm. 69, de 22 de marzo de 2023, páginas 42678 a 42706. BOE-A-2023-7416

13. EN14683

14. EN149:2001 + A1:2009

15. http://gestiona.comunidad.madrid/rlma_web/html/web/ FichaNormativa.icm?ID=799

16. Real Decreto 952/1997 20 de junio.

17. DAS SJ, KHARBULI D, ALAM ST. Effects of preprocedural mouth rinse on microbial load in aerosols produced during the ultrasonic

scaling: A randomized controlled trial. J Indian Soc Periodontol. 2022 Sep-Oct;26(5):478-484. doi: 10.4103/jisp.jisp_281_21. Epub 2022 Sep 1. PMID: 36339387; PMCID: PMC9626782.

18. WEBER J, BONN EL, AUER DL, KIRSCHNECK C, BUCHALLA W, SCHOLZ KJ, CIEPLIK F. Preprocedural mouthwashes for infection control in dentistry-an update. Clin Oral Investig. 2023 Jun;27(Suppl 1):33-44. DOI: 10.1007/S00784-023-04953-z. Epub 2023 Apr 20. PMID: 37079156; PMCID: PMC10116478.

19. HE J, LI J, CHEN B, YANG W, YU X, ZHANG F, LI Y, SHU H, ZHU X. Study of aerosol dispersion and control in dental practice. Clin Oral Investig. 2024 Jan 27;28(1):120. doi: 10.1007/s00784024-05524-6. PMID: 38280059.

20. ZIMMERMANN W. Beitrag zur Frage der UV-Entseuchung von Wasser [Ultraviolet disinfection of water]. Z Hyg Infektionskr. 1956;143(1):91-2. German. PMID: 13401960.

21. FICKENSCHER MC, STEWART M, HELBER R, QUILLIGAN EJ, KREITENBERG A, PRIETTO CA, GARDNER VO. Operating room disinfection: operator-driven ultraviolet ‘C’ vs. chemical treatment. Infect Prev Pract. 2023 Jul 28;5(3):100301. doi: 10.1016/j.infpip.2023.100301. PMID: 37575675; PMCID: PMC10412461.

22. REAL DECRETO 487/2022 DEL 22 DE JUNIO DE 2022. PÁGINAS 86158 A 86212.

23. PETTI S, VITALI M. Occupational risk for Legionella infection among dental healthcare workers: meta-analysis in occupational epidemiology. BMJ Open. 2017 Jul 13;7(7):e015374. doi: 10.1136/ bmjopen-2016-015374. PMID: 28710211; PMCID: PMC5734417.

24. PANKHURST CL, COULTER WA. Do contaminated dental unit waterlines pose a risk of infection? J Dent. 2007 Sep;35(9):71220. doi: 10.1016/j.JDENT.2007.06.002. EPUB 2007 AUG 6. PMID: 17689168.(2

25. ZAYED AR, BURGHAL M, BUTMEH S, SAMBA-LOUAKA A, STEINERT M, BITAR DM. Legionella pneumophila Presence in Dental Unit Waterlines: A Cultural and Molecular Investigation in the West Bank, Palestine. Trop Med Infect Dis. 2023 Oct 30;8(11):490. doi: 10.3390/tropicalmed8110490. PMID: 37999609; PMCID: PMC10675536.

26. MAESO G. Principios de bioseguridad en la clínica dental. Ed peldaño 2022.I SBN: 978-84-87288-95-1

27. BRINKER SP, BAKER G. Behind-the-Scenes Infection Prevention: Focusing on Clinical Surfaces and Instrument Processing. Compend Contin Educ Dent. 2023 Oct;44(9):504508; quiz 509. PMID: 37850954.

28. Orden 1158/2018 de la Comunidad de Madrid

29. ISO 13485

30. UNE EN13060

31. Real Decreto 1591/2009

71
Gaceta Dental · N o 365 | Abril 2024
clínica. CIENCIA Y CLÍNICA
Práctica

Atrofia hemifacial progresiva

Ciencia y clínica Síndrome de Parry Romberg

EDRA. CARMEN GRILLE ÁLVAREZ

Doctora en Medicina y Cirugía y Médico Especialista en Medicina de Familia y Comunitaria.

Dra. Carmen Álvarez Quesada Catedrática del Departamento de Odontología. Universidad Europea de Madrid.

Dra. María Trinidad García Vázquez Odontóloga. Profesora del Departamento de Odontología. Universidad Europea de Madrid.

Elena García Vázquez Odontóloga. Profesora del Departamento de Odontología. Universidad Europea de Madrid.

ste síndrome se caracteriza por una lenta y progresiva atrofia facial unilateral (más frecuente en el lado izquierdo) que afecta a los tejidos blandos; principalmente, al tejido celular subcutáneo, piel, tejido conectivo, cartílago, músculo, hueso, etc. Las causas son desconocidas, por lo que han surgido diversas teorías por parte de los investigadores en cuanto a su origen.

Palabras clave: síndrome de Parry Romberg.

ABSTRACT

This syndrome is characterized by a slow and progressive unilateral facial atrophy (more frequently the left side) that affects the soft tissues mainly, the subcutaneous cellular tissue, skin, connective tissue, cartilage, muscle, bone, etc. The causes are unknown so various theories have arisen by researchers regarding its origin.

Keywords: Parry Romberg Syndrome.

72 Gaceta Dental · N o 365 | Abril 2024
Y CLÍNICA. Caso clínico
CIENCIA
«Este síndrome tiene un inicio insidioso en la primera o segunda década de la vida y suele afectar más a las mujeres que a los hombres»

INTRODUCCIÓN

Este síndrome fue descrito en 1825 por Caleb Hillier Parry y, posteriormente, fue desarrollado por Moritz Heinrich Romberg y Eduard Heinrich Henoch en 1846. Pero el término «atrofia hemifacial progresiva» por el cual hoy día conocemos a este síndrome se debió a Albert Eulemburg en 1871 (1-3).

El Síndrome de Parry Romberg es una enfermedad rara, degenerativa, de evolución lenta y progresiva. Su inicio es insidioso en la primera o segunda década de la vida. Suele afectar más a las mujeres que a los hombres, aunque hay controversia entre diferentes autores. La prevalencia es de 1/700.000 (4). Su evolución es progresiva en el tiempo; posteriormente se estabiliza, aunque no se recupera la atrofia existente.

Este síndrome se caracteriza por una lenta y progresiva atrofia facial unilateral (más frecuente en el lado izquierdo) que afecta a los tejidos blandos; principalmente, al tejido celular subcutáneo, piel, tejido conectivo, cartílago, músculo, hueso, etc.

Etiología

Las causas son desconocidas, por lo que han surgido diversas teorías por parte de los investigadores en cuanto a su origen (1, 2, 4, 5).

Algunos autores sugieren la teoría genética (1, 6, 7) autosómica dominante, ya que en la literatura aparecen casos familiares de padres e hijos afectados.

Otros sugieren su asociación a desórdenes autoinmunitarios relacionados con una variante de la esclerodermia, lupus, artritis reumatoide, uveítis, espondilitis, etc. (4, 8); con presencia de autoanticuerpos elevados.

73 Gaceta Dental · N o 365 | Abril 2024 Caso clínico. CIENCIA Y CLÍNICA
Tabla 1. Manifestaciones orales (3, 13-18).

Por otro lado, también ha sido asociado a traumatismos previos (4, 6) en el área facial en sujetos con predisposición, así como también a procesos infecciosos virales neurotróficos del tipo herpes y borrelia burgdorferi (2, 8-11).

Se ha relacionado con múltiples causas como procesos endocrinos, neuritis del trigémino, disfunciones y alteraciones del sistema nervioso simpático (2, 4, 8, 11), malformaciones vasculares, aneurismas y vasculitis diversas. También se ha asociado con alteraciones del metabolismo de las grasas a nivel cerebral (11, 12).

Aún, en la actualidad, no hay ninguna causa plenamente demostrada, aunque la que más está en vigor es la causa autoinmune.

Clínica

Clínicamente, este síndrome se caracteriza por una lenta y progresiva atrofia facial unilateral (más frecuente en el lado izquierdo), que afecta a los tejidos blandos, principalmente, aunque también puede afectar a los tejidos duros del paciente (Tabla 1).

Existe una atrofia progresiva unilateral que afecta al tejido celular subcutáneo, piel, tejido conectivo, cartílago, músculo, huesos (en extremidades y tronco) y, muy frecuentemente, se asocian múltiples alteraciones dentarias y en cavidad oral. Los afectados presentan una desviación de la boca y la nariz hacia el lado afectado, con debilidad labial que deja expuestos a los dientes. Por otro lado, también hay alteraciones de la lengua y del paladar, aunque las funciones de fonación y deglución se mantienen adecuadamente (2).

Presentan alopecia del cuero cabelludo, cejas y pestañas y, a

veces, con hiperpigmentación/ despigmentación (11).

Hay alteraciones a nivel ocular, con enoftalmos, retracción palpebral, ptosis, estrabismo, queratopatías, uveítis, alteraciones vasculares retinianas y pigmentarias (4).

Presentan cefaleas migrañosas y, frecuentemente, neuralgias del trigémino, así como espasmos musculares (2).

Pueden cursar con crisis epilépticas (4) y otras alteraciones neurológicas a nivel cerebral como calcificaciones (1).

Diagnóstico

Se basa, fundamentalmente, en la exploración de los signos y síntomas clínicos recogidos en la historia, pruebas complementarias histopatológicas, estudios de autoinmunidad y de radiodiagnóstico como radiografías y fotografías faciales (19), así como la tomografÍa axial computorizada y las tomografÍas en 3D (20, 21). También, realización de electroencefalogramas y resonancia magnética nuclear (4), y exámenes oftalmológicos y dentales.

El diagnóstico diferencial se realizará con la esclerodermia lineal en corte de sable, aunque hay casos en que se asocian (4, 8, 22) con lupus eritematoso; enfermedades autoinmunes; con el Síndrome de Goldenhar, rara anomalía del 1 o y/o 2o arco braquial que cursa con alteraciones oculares, auriculares, mandibulares y vertebrales de origen desconocido; con ciertas lipodistrofias; Síndrome de Barraquer-Simons, lipodistrofia adquirida (15); diversas vasculitis crónicas y neuritis óptica y trigeminal (9).

74
Gaceta Dental · N o 365 | Abril 2024
CIENCIA Y CLÍNICA. Caso clínico

Tratamiento

El Síndrome de Parry Romberg debe ser tratado por un equipo multidisciplinario: cirujanos, médicos, pediatras, psicólogos, odontólogos, dermatólogos, oftalmólogos, neurólogos, etc. (1, 4, 15).

El diagnóstico debe ser lo más precoz posible para iniciar el tratamiento y así intentar la disminución de las secuelas posteriores y lograr una mejor calidad de vida para los pacientes. Se debe de realizar un estudio familiar, porque aunque no está del todo comprobado el factor genético, existen casos dentro de una misma familia.

Dependiendo del grado de afectación del paciente hay que dar un refuerzo psicológico, para mejorar la autoestima que han perdido a nivel personal (por la alteración estética) y la inclusión a nivel socio–laboral.

Si hay alguna afectación o desorden neurológico, se aplicará el tratamiento farmacológico requerido para cada caso.

El tratamiento fundamental es la cirugía plástica–reconstructiva para mejorar la estética perdida (que se iniciará cuando la enfermedad esté inactiva y dependiendo de la severidad de la afección del paciente), colocando autotransplante de tejido graso (lipoinfiltración, que, a veces, hay que repetir debido a las reabsorciones) o muscular, implantes de silicona u otros materiales poliméricos, injerto dérmico, de cartílago o de hueso, para mejorar el aspecto estético y funcional, lo que también favorecerá el componente psicológico del mismo (3, 4, 7, 9, 11).

Las técnicas de microcirugía han avanzado mucho gracias a las técnicas de imagen en 3D, tanto

«El diagnóstico debe ser lo más precoz posible para iniciar el tratamiento y así intentar la disminución de las secuelas posteriores»

a nivel microvascular como de injertos y transplantes, y ayudan al planteamiento y realización adecuada del plan operativo de las múltiples cirugías correctivas necesarias (12, 20).

Los tratamientos ortodóncicos se utilizan también, en la mayoría de los casos, para tratar de lograr un mayor paralelismo facial, fundamentalmente en el plano mandibular (12, 13, 19, 23, 24) y presentan buenos resultados si se realizan en las fases previas en el desarrollo de la enfermedad.

En otros casos con afectaciones más graves también se han realizado intervenciones maxilofaciales del tipo Lefort (25, 26), colocación de implantes de titanio (23), anastomosis nerviosas para recuperación de afecciones nerviosas a nivel ocular y también a nivel lingual (27, 28).

Por otro lado, también se están utilizando diversas medicaciones para paliar tanto el dolor y la sintomatología asociada (toxina botulínica (29), methotrexate (23), como las afecciones cutáneas, epilepsias asociadas, o sintomatología reumática (10).

75 Caso clínico. CIENCIA Y CLÍNICA Gaceta Dental · N o 365 | Abril 2024

CASO CLÍNICO

Paciente de 29 años (Figuras 1-4), venezolana; alérgica a mariscos, pescado y penicilina. Diagnosticada de Síndrome de Parry Romberg (hemiatrofia facial progresiva). Operada en Venezuela con microcirugías faciales.

Acude al médico de Atención

Primaria, interconsulta con el odontólogo y con el oftalmólogo, remisión a Cirugía Maxilofacial y Plástica del Hospital La Paz.

-Informe: atrofia esquelética ósea, en hemimandíbula derecha, ausencia de grasa orbitaria;

Figura 4.TAC. Figura 1. Fotografía frontal.
76
Figura 2. Fotografía lateral derecha. Figura 3. Fotografía lateral izquierda.
Gaceta Dental · N o 365 | Abril 2024
CIENCIA Y CLÍNICA. Caso clínico
«El Síndrome de Parry Romberg debe ser tratado por un equipo multidisciplinario: cirujanos, médicos, pediatras, psicólogos, odontólogos, dermatólogos, oftalmólogos, neurólogos, etc.»

del suelo de la boca; disminución de la grasa en el espacio orofaríngeo, con desplazamiento de la luz orofaríngea a la derecha.

-A nivel odontológico: solución de continuidad del hueso alveolar en cuadrante superior derecho a nivel de molares; engrosamiento mucoso en antro maxilar derecho (siendo de menor tamaño); numerosas caries en cuadrante superior derecho y cuadrante inferior derecho; deformidad del cóndilo derecho mandibular y adelgazamiento de la interlinea y geoda subcondral.

-A nivel oftalmológico: ojo derecho sin visión y no percibe la luz; lagoftalmos nasal; entropión de borde libre; adelgazamiento corneal inferior con pannus asociado; poco tarso en párpado superior.

disminución del volumen orbitario derecho; disminución del tejido cutáneo (ecográficamente dermis y epidermis adelgazadas), del cuero cabelludo y de la grasa; disminución del volumen de las glándulas parótidas, submaxilar y sublingual; disminución del volumen de los músculos masticatorios, linguales y

-Hospital La Paz: se realizan anastomosis término terminal de arteria epigástrica inferior a arteria tiroidea superior y vena epigástrica profunda a vena yugular externa.

Se realizan varios colgajos para la reconstrucción microquirúrgica de la zona frontal, malar, mentoniana, nasogeniana, labio superior; tanto de piel como de grasa para el relleno de las zonas y su reconstrucción. ●

BIBLIOGRAFÍA

1. SANTANA HERNÁNDEZ AE, TAMAYO CHANG VJ, GONZÁLEZ ANTA AM, WARNER VIGO O, ÁLVAREZ OCAMPO J. Síndrome de Parry Romberg. Revista de Ciencias Médicas 2015; 19 (1): 134-140.

2. HIREN

P, THAKKAR C, PATEL K. Parry Romberg syndrome: a rare entity. J Maxillofac Oral Surg 2010; 9 (3): 247-250. 3. AL- AIZARI NA, AZZEGHAIBY SH, AL-SHAMIRI HM, DURWISH S, TARAKJI B. Oral manifestations of Parry Romberg syndrome: a review of literature. Avicenna J Med, 2015, 5 (2): 25-28. 4. SÁNCHEZ SEGURA MC, MARSAN SUAREZ V, MACÍAS ABRAHAM C, GARCÍA GARCÍA A, VALCÁRCEL LLERANDI
78 CIENCIA Y CLÍNICA. Caso clínico Gaceta Dental · N o 365 | Abril 2024

J, DEL VALLE PÉREZ LO, SOCARRAS FERRER B, ARCE HERNÁNDEZ AA. Progressive hemifacial atrophy or Parry Romberg associated with immunodeficiency. Rev Cubana Hemato Immunol Hemoter 2013, 29 (3).

5. SCHULTZ KP, DONG E, MARICEVICH RS. Parry Romberg syndrome. Clin Plast Surg, 2019. 46 (2): 231-237.

6. SINGH D, SINGLA C, MALHOTRA SK, KAUR A. Parry Romberg syndrome in a elderly male: a rare case report. Our Dermatol on line 2017, 8 (3): 333-335.

7. LAXMAN RRANGARE A, GOGINENI BABU S, THOMAS PS, RAM SHETTY S. Parry Romberg syndrome: a case report. Journal of Oral and Maxillofacial Research 2011; 2 (2): 1-5.

8. DIXIT S, KALKUR C, SATTUR AP, BOMSTEIN MM, MELTON F. Scleroderma and dentistry: two Case reports. J Med Case Rep, 2016; 10 (1): 297.

9. SARGUNAR B, EBENEZER V, BALAKRISHNAN R, PRIYA S. Parry Romberg syndrome, a review of treatment options. Biomedical and Pharmacology Journal. 2014; 7 (1): 207-211.

10. TANG XJ, LIU W, YANG B, SHI L, YIN L, ZHANG ZY. Parry Romberg syndrome with rare maxillofacial deformities: a report on two cases. J Craniomaxillofac Surg, 2014; 42 (6): 780-783.

11. ROMERO ÁLVAREZ F, FLORES OSEGUERA J, ARGUELLO REYES J, LAINEZ MEJIA C. Lipoinfiltration in a patient with Parry Romberg syndrome. DOI:10.155568/am2016.797.cc01

12. DA SILVA PINHEIRO TP, CAMARINHA DA SILVA CC, SOUZA LIMEIRA C, ERENO BOTELHO PC, RODRIGUEZ PINHEIRO MG, VIANA PINHEIRO JJ. Progressive hemifacial atrophy case report. 2006. Med Oral Patol Cir Bucal, 11 (2): 112- 4.

13. YIM S, YANG IH, BAEK SH. Characterization of dental phenotypes and treatment modalities in Korean patients with Parry Romberg syndrome. Korean J Orthd, 2020, doi:10.4041/kjod2020.50.6.407

14. VAN DER CRUYSSEN F, MEEUS J, SCHOENAERS J, POLITIS C. Parry Romberg syndrome: a long term retrospective cohort study of 10 patients. Oral and maxillofacial Surgery Cases 2018; 4: 73-83.

15. DESHINGKAR SA, BARPANDE SR, BHAVTHANKAR JD, HUMBE JG. Progressive hemifacial atrophy (Parry Romberg syndrome). Contemporary Clinical Dentistry 2012; 3 (suppl): 78-81.

16. O´FLYNN S, KINIRONS M. Parry Romberg syndrome: a report of the dental findings in a child followed up for 9 years. Int J Paediatr Dent, 2006; 16 (4): 297-301.

17. COLQUHOUN AN, FERGUSON MM, DOYLE TC. Hemifacial atrophy with bilateral short roots. Br J Oral Maxillofac Surg, 2000; 38 (5): 533-536.

18. YIM S, YANG IH, BAEK SH. Characterization of dental phenotypes and treatment modalities in Korean patients with Parry Romberg syndrome. Korean J Orthd, 2020, doi:10.4041/kjod2020.50.6.407

19. YOU KH, BAIK HS. Orthopedic and orthodontic treatment of parry Romberg syndrome.J Craniofac Surg, 2011, 22 (3): 970-3.

20. ABDULLAEV KF, ORLOVA EV, YADAV MK,VASILYEY EA, MOKHIREV MA, GILEVA SG. Preoperative planning for advanced modelling of anterolateral thigh flaps in the treatment of severe haemifacial atrophy in Parry Romberg and Goldenhar syndrome. JPRAS Open 2018. 16: 36-4912.

21. SLACK G, TABIT CJ, ALLAM KA, KAWAMOTO HK, BRADLEY JP. Parry Romberg reconstruction: optimal timing for hard and soft tissue procedures. J Craniofac Surg, 2012, 23 (7): 1969-73.

22. BARCHINO ORTIZ L, LEIS DOSIL VM, CABEZA MARTÍNEZ R, HERRANZ HERMOSA JM. Hemiatrofia facial progresiva. Síndrome de Parry Romberg. Dermatología Pediátrica 2007; 65 (3): 126-128.

23. KUAH CY, KOLEVA E, GAN JJL, IQBAL T. Parry Romberg syndrome in a patient with scleroderma. BMJ Case Rep, 2018; 14.

24. VASCONCELOS M, FERREIRA GJ, ANDRADE E, ANDRADE M, VERAS AP. Association of aesthetic and orthodontic treatment in Parry Romberg syndrome. 2010, J craniofac Surg, 21 (2): 436-9.

25. GRIPPAUDO C, DELI R, GRIPPAUDO FR, DI CUIA T, PARADISI M. Management of craniofacial development in the Parry Romberg syndrome: report of two patients. Cleft Palate Craniofac J, 2004, 41 (1): 95-104.

26. SCOLOZZI P, HERZOG G. total mandibular subapical osteotomy and le Fort I osteotomy using piezosurgery and computer aided designed and manufactured surgical splints. A favorable combination of three techniques in the management of severe mouth asymmetry in Parry Romberg syndrome. J Oral Maxillofac Surg 2014. 72 (5): 991-9.

27. KUNERT P, PODGORSKA A, BARTOSZEWICZ R, MARCHEL A. Hemihypoglosssal facial nerve anastomosis for facial nerve palsy. Neurol Neurochir Pol, 2011; 45 (5): 452-460.

28. TAM EK, LONNGI M, DEMER JL, MRI FINDINGS OF CONTRALATERAL OCULOMOTOR NERVE PALSY IN PARRY ROMBERG SYNDROME. Am J Ophthalmol Case Rep, 2018; 2 (10). 81- 83.

29. MISHRA K, SOOD A, SMIDT A, PRICE HN. Botulinum toxin a for pain reduction in paediatric patients with Parry Romberg syndrome. Paediatr Dermatol 2019; 10.

79 Caso clínico. CIENCIA Y CLÍNICA Gaceta Dental · N o 365 | Abril 2024

a

Di 2 gital al dí 2

Planificación de implantes yuxtaóseos y carga inmediata con protocolos Di²gitalArch®️

Los implantes yuxtaóseos son una alternativa eficaz para el tratamiento implantológico en los pacientes con atrofia ósea parcial o total.

DR. LUIS CUADRADO DE VICENTE

MD DDS i2 Implantología Madrid.

Dr. Luis Cuadrado Canals DDS i2 Implantología Madrid.

Dra. Cristina Cuadrado Canals DDS i2 Implantología Madrid.

Dra. Fedra Coraspe DDS Custom Implants.

Dra. Sara Perrone DDS i2 Implantología Madrid.

Roberto Vives TPD Laboratorio «Dental Full Digital» Madrid.

Ignacio Montiel TPD Laboratorio «Dental Full Digital» Madrid.

Ciertamente, la experiencia a largo plazo con este tipo de implantes, desde la introducción de técnicas de diseño CAD usando los archivos DICOM del TAC del paciente y los métodos de producción con impresión 3D en titanio, aún es escasa.

La utilización del sistema CAD CAM presenta una ventaja absoluta respecto a los antiguos métodos de fabricación de estos implantes, consiguiendo diseños y fijaciones que se adaptan perfectamente al hueso receptor.

La selección del paciente es fundamental a la hora de optar por este tratamiento.

Además del estado de salud del paciente, los pasos recomendados son:

-Exploración intra y extraoral.

-Examen de la/s prótesis del paciente.

-Escaneado facial con las prótesis.

-Escaneado intraoral con la

80 DI 2GITAL AL DÍ 2 A. Caso clínico Gaceta Dental · N o 365 | Abril 2024
«Es muy deseable tener en cuenta la presencia de encía queratinizada alrededor de la zona de emergencia de los implantes y, en caso necesario, realizar injertos gingivales en estas zonas críticas»

prótesis con marcadores.

-Ortopantomografía.

-En algunos casos, CBCT en la clínica.

-En todos los casos, sean parciales o totales, tanto para cigomáticos como para yuxtaóseos, TAC Helicoidal.

Una vez informado el paciente y obtenidos los archivos, estos se suben a la plataforma (nube) de la empresa que se ocupa del diseño y fabricación como producto sanitario a medida.

Asimismo, ya examinados los archivos por el equipo de diseño y confirmada su viabilidad, si no existen recomendaciones que sugieran la necesidad de tratamientos previos (por ejemplo, en el caso de fracaso de tratamientos de implantes, la necesidad de retirar en una primera cirugía los implantes fracasados), el equipo de diseño realiza un diseño previo y ofrece sugerencias al cirujano.

En una reunión virtual, el cirujano participa activamente en el diseño final en base a esa primera sugerencia del equipo de diseño, ya que el cirujano es el que tiene informaciones como la apertura bucal, accesibilidad quirúrgica tanto para el fresado de los tornillos de fijación como para realizar la propia colocación de los tornillos, manual o con CA, influyendo en la orientación de los mismos en relación al hueso disponible para los mismos y su orientación.

Generalmente se colocan tornillos de fijación en malar (usualmente los de mayor longitud 6-8 mm), palatino (6-8 mm), zona vestibular y zona ascendente para nasal.

En el caso que presentamos se decidió no colocar tornillos de fijación paranasales por la escasa disponibilidad de hueso.

Es recomendable, en los casos de maxilar superior, realizar dos fijaciones: una para cada hemimaxilar,

81 Caso clínico. DI 2GITAL AL DÍ 2 A Gaceta Dental · N o 365 | Abril 2024
Resultado final del caso de la paciente, que presentaba atrofia extrema y un malar muy fino.

en lugar de una que englobe los dos.

Uno de los pasos a elegir durante el proceso de diseño es la conexión para la prótesis. Usualmente se usa un hexágono externo universal, donde, como en el caso que presentamos, se puede atornillar un pilar MU estándar o cualquier otro compatible con esa conexión. Evitaremos así que una posible rotura del tornillo de fijación de la prótesis arruine el tratamiento, si esa eventualidad llega a ocurrir.

Sin embargo, la elección de una conexión de hexágono externo requiere mucho espacio, siendo necesario, a veces, realizar fresados óseos guiados por una férula de regularización para hundir estas conexiones y conseguir el espacio necesario. Recientemente, se están desarrollando pilares específicos para este tipo de implantes con disminución de la altura necesaria para su alojamiento.

Igualmente, en la fase de planificación se intentan enterrar lo máximo posible los brazos del implante yuxtaóseo en el hueso receptor, también gracias a férulas de regularización horizontal y vertical. Conseguiremos así que el implante, en esas zonas críticas vesiculares, quede lo más enterrado posible. En la mayoría de los casos no hay ninguna exposición del implante y en otras esta exposición es mínima y sin significación clinica, parecida a la que se produce en muchas ocasiones con implantes cigomáticos (responsable del cambio de diseño de los implantes cigomáticos a superficies lisas, sin espiras en la parte inferior). Sin embargo, es muy deseable tener en cuenta la presencia de encía queratinizada alrededor de la zona de emergencia de los implantes y, en caso necesario, realizar injertos gingivales en esas zonas críticas.

Una vez finalizada la planificación, los implantes son fabricados mediante impresión 3D, esterilizados y documentados como producto sanitario a medida.

El cirujano recibe los implantes, la guía de posicionamiento, las guías de regularización y las guías de remodelado.

CASO CLÍNICO

En el caso que presentamos (Figuras 1-36) , de atrofia extrema y malar muy fino que complicaría el resultado con implantes cigomáticos, aún presenta piezas naturales en estado terminal.

Estas piezas serán extraídas en la cirugía y, como se muestra en las imágenes, el hueso en esa zona será remodelado.

La intervención se realiza con anestesia local y sedación consciente.

Finalizada la cirugía y conectados los pilares MU, se realiza un escaneado intraoral de los scanbodies para MU.

Una de las ventajas de la correcta planificación es que el centro de producción puede enviar al laboratorio la posición 3D de las conexiones. De esta manera, se puede tener fabricada incluso la prótesis provisional anteriormente a la cirugía. En nuestro caso usamos esa información para tener preparada una variante de la técnica Di2gitalArch para implantes yuxtaóseos que expondremos en el futuro.

Una vez escaneado el/los archivo/s se envían al laboratorio Digital Future para el diseño y fabricación de la prótesis fija provisional que se coloca dos horas y media después de finalizar la intervención.

Los cuidados posoperatorios son los habituales en cualquier cirugía implantológica. ●

82 DI 2GITAL AL DÍ 2 A. Caso clínico Gaceta Dental · N o 365 | Abril 2024
Figura 3. TAC preoperatorio. Figura 4. Planificación de ostectomía de regularización. Figura 5. Vista lateral de la planificación de ostectomía. Figura 6. Vista frontal. Figura 1. Sonrisa preoperatoria. Figura 2. Intraoral preoperatoria. Figura 7. Vista frontal del maxilar regularizado.
83 Caso clínico. DI 2GITAL AL DÍ 2 A Gaceta Dental · N o 365 | Abril 2024
Figura 8. Implantes diseñados sobre el maxilar regularizado. Figura 11. Escaso volumen óseo para la fijación con microtornillos, lado derecho. Figura 12. Transparencia en la localización de tornillos. Figura 13. Vista oclusal, localización de tornillos fijación. Figura 14. Vista oclusal. Figura 9. Vista oclusal. Figura 10. Escaso volumen óseo para la fijación con microtornillos, lado izquierdo. Figura 15. Detalle de la transparencia de tornillos anteriores.
84 DI 2GITAL AL DÍ 2 A. Caso clínico Gaceta Dental · N o 365 | Abril 2024
Figura 16. Transparencia anterior.

Estimados visitantes, clientes, partners y amigos, una vez más, gracias por formar parte de Expodental 2024.

Sus interesantes conversaciones y contribuciones han sido clave para nuestro éxito en la feria.

Agradecemos su tiempo y dedicación durante la feria, así como su interés en nuestros productos.

14-16
GRACIAS EXPODENTAL
Mar 2024
Figura 17. Transparencia únicamente tornillos. Figura 18. Localización y relación con el hueso receptor de todos los tornillos de fijación. Figura 19. Vista anterior. Figura 20. Regularización ósea anterior con guía. Figura 21. Fijación del lado derecho colocada. Figura 22. Fijación del lado derecho. Figura 23. Fijación del lado derecho colocada sobre la regularización.
86 DI 2GITAL AL DÍ 2 A. Caso clínico Gaceta Dental · N o 365 | Abril 2024
Figura 24. Fijación del lado izquierdo colocada. Figura 27. Pilares MU colocados. Figura 28. Scanbodies pilar MU colocados para toma de impresión digital. Figura 29. Aún con anestesia, prótesis fija provisional colocada. Figura 30. Radiología postoperatoria. Figura 25. Vista oclusal con las dos fijaciones colocadas. Figura 26. Sutura finalizada. Figura 31. Revisión al retirar la sutura a los 10 días.
87 Caso clínico. DI 2GITAL AL DÍ 2 A Gaceta Dental · N o 365 | Abril 2024
Figura 32. Revisión a los 10 días.
88 DI 2GITAL AL DÍ 2 A. Caso clínico Gaceta Dental · N o 365 | Abril 2024
Figura 33. Revisión a los 10 días. Figura 34. Intraoperatoria, guía de posición. Figura 35. Modelo impreso preoperatorio.
¡CONSIGUE EL LIBRO DEL DR. LUIS CUADRADO DE VICENTE EN LA TIENDA GACETA DENTAL!
Figura 36. Resultado.

MANUEL MÁIQUEZ

Presidente de la Sociedad Española de Odontología del Deporte (SEOD)

«Estamos trabajando para que, más pronto que tarde, veamos a dentistas especializados en deporte dentro de los equipos que monitorizan atletas», afirma el presidente de la SEOD, que ha copado en las últimas semanas titulares al haberse encargado de diseñar el protector bucal de Ilia Topuria, flamante campeón de la UFC. Un foco mediático que, seguramente, ayudará a impulsar entre las organizaciones vinculadas al deporte la importancia de la figura del dentista y a fomentar vocaciones en los jóvenes por una disciplina con un prometedor futuro.

90
Protagonistas Gaceta Dental · N o 365 | Abril 2024

–Dr. Manuel Máiquez, es usted presidente de la SEOD, organización fundada en Barcelona en 1999. ¿Por qué surgió esta organización y cómo ha evolucionado en los últimos años?

—Los Juegos Olímpicos celebrados en Barcelona en 1992 supusieron el punto de partida para que, años más tarde, terminase de cristalizar el proyecto de la SEOD. El Dr. Esteban Brau, endodoncista exclusivo y, por entonces, catedrático de la Universidad de Barcelona, fue uno de los médicos estomatólogos que prestaron servicio bucodental en la villa olímpica y pudo constatar la elevada incidencia de problemas bucodentales que presentaban los deportistas, a los cuales se les presuponía un excelente estado de salud y que, sin embargo, distaba mucho de la realidad. Brau, que fue el primer presidente de SEOD, se rodeó de un equipo de excelentes profesionales, entre los que destacó el Dr. René Fasel, que asumió desde el inicio la vicepresidencia de SEOD, y que ya desde 1994 era presidente de la Federación Internacional de Hockey sobre Hielo (IIHF) y miembro del Comité Olímpico Internacional (COI). Junto a los doctores Carlos Canalda y Francisco Miravé, fundaron esta asociación sin ánimo de lucro el 25 de mayo de 1999 en Barcelona.

La SEOD estuvo adscrita al Consejo General de Dentistas desde entonces y hasta 2015, año en el que solicitó su baja. Paradojas de la vida, ese mismo año comenzaron los estudios de Odontología en la Universidad Católica San Antonio de Murcia (UCAM), institución en la cual desempeño parte de mi vida profesional como vicedecano del Grado en Odontología y profesor de Odontología Deportiva, una asignatura que se creó para establecer sinergias con otros grados universitarios que ya se venían impartiendo con éxito en la universidad, pero que supuso un gran reto desarrollar al ser la primera universidad de España que contaba, y cuenta, con esta asignatura dentro del plan de estudios. Un año más tarde, en 2016, la FDI World Dental Federation reconoció a nivel internacional esta especialidad en su Asamblea General celebrada en Poznań (Polonia). Así que entonces, con esta tormenta perfecta, pensamos que era el momento de coger el testigo de los miembros

«Es fundamental que los clubes y las Federaciones Deportivas cuenten con un odontólogo especializado en deporte como referencia»

fundadores, formar a fuego lento un equipo que contase también con nuestros alumnos egresados más brillantes y revitalizar la SEOD aprovechando nuestros contactos a nivel internacional y con el apoyo de una universidad como la UCAM, comprometida con el deporte y los deportistas, tal y como se ha vuelto a corroborar recientemente con su alianza estratégica con el Comité Olímpico Español (COE).

Para la FDI realizamos la traducción, adaptación y maquetación de las cuatro Guidelines de Sports Dentistry durante el segundo trimestre de 2020, documentación que solo estaba disponible en inglés y comenzamos a estrechar lazos con sociedades científicas homónimas en otros países como Italia, Brasil y Chile, con el fin de aunar fuerzas en pro de esta especialidad.

–La Odontología del Deporte es una disciplina en auge en diversos países, pero en España no parece que tenga ese mismo calado. ¿Cómo ayuda, en este sentido, una organización como la SEOD?

–A pesar de que otros países, como por ejemplo Brasil, tengan aparentemente más tradición en el ámbito de la Odontología del Deporte, resulta llamativo que, de los 409.836 dentistas colegiados en ese país, según datos de marzo de 2024, solo haya 42 especialistas en Odontología del Deporte. Eso significa que no estamos ni mucho menos tan atrasados. Hemos podido comprobar que el desconocimiento por parte de atletas, clubes y federaciones deportivas sobre los problemas bucodentales que pueden influir en el rendimiento deportivo es global. Por ello, nos toca ejercer una labor de

91 Gaceta Dental · N o 365 | Abril 2024
PROTAGONISTAS
«Cada euro que se invierte en prevención se transforma, con creces, en la obtención de mejores resultados y menor tiempo de recuperación de patologías orales por parte de los atletas»

con más actividad y presencia que otros, han seguido esta tendencia. Pero no existen muchas más. Nosotros queremos ser parte activa de este cambio de paradigma que supone la figura del odontólogo y su relación con los deportistas, pero no se trata de llegar más rápido, sino de hacerlo más lejos y con el mayor número de personas alrededor. Buscando la analogía olímpica, tenemos la responsabilidad de mantener viva la llama del pebetero y de ser capaces de traspasarla a futuras generaciones de odontólogos para que continúen desarrollándola y puedan elevarla a la máxima expresión.

concienciación, saliendo en muchas ocasiones de nuestras clínicas, para mimetizarnos con el entorno deportivo y empezar a difundir esta información.

En el concepto actual de One Health no es concebible que un atleta, tanto profesional como amateur, al cual se somete a un reconocimiento médico exhaustivo, se le estén obviando aspectos relacionados con el aparato estomatognático. Estamos trabajando para que, más pronto que tarde, veamos a dentistas especializados en deporte dentro de los equipos que monitorizan atletas, porque la repercusión de la salud bucodental tiene efectos a muchos niveles de nuestro organismo y no podemos permitir que personas que se entrenan durante cuatro años para rendir al máximo en competiciones de corta duración, vean disminuido su rendimiento por enfrentarse a un problema odontológico inesperado y no prevenido o no tratado con anterioridad.

–¿Qué países han cuidado más esta disciplina?

–Si hacemos referencia al número de sociedades científicas de Odontología del Deporte, somos unos privilegiados porque a nivel mundial todavía no existen tantas. Anteriores a SEOD, únicamente EE.UU., Japón e Italia comenzaron a desarrollar asociaciones en este ámbito. Posteriormente, países como Brasil, Corea del Sur, Chile, Alemania, Grecia y Portugal, y recientemente también Paraguay, algunos

–¿Qué beneficios conlleva tener un dentista formado dentro de los equipos o federaciones deportivas?

–El odontólogo deportivo desempeña un papel fundamental en la prevención de patologías bucodentales y mejora del rendimiento de los atletas. Es absolutamente necesario instruir a este colectivo, y a sus allegados, desde los aspectos más básicos como pueden ser las técnicas de higiene oral hasta las medidas más específicas para reducir el riesgo de lesiones bucodentales derivadas de la práctica deportiva o que permitan incrementar el rendimiento con la ayuda de la tecnología. Digamos que es fundamental que los clubes y las federaciones deportivas cuenten con un odontólogo especializado en deporte como referencia, que trabaje conjuntamente con otros profesionales como médicos, podólogos, fisioterapeutas, nutricionistas y entrenadores para establecer un seguimiento pormenorizado de los deportistas en términos de identificación precoz de maloclusiones, problemas respiratorios o de la articulación temporomandibular, manejo de dientes traumatizados, alteraciones de la postura o de la cronobiología relacionada con los viajes y el descanso y que fomente el uso de protectores bucales individuales y férulas optimizadoras. En definitiva, un odontólogo formado que pueda intervenir en cualquier anomalía y enfermedad que afecte a los dientes, la boca, los maxilares y los tejidos anejos de los deportistas.

92 Gaceta Dental · N o 365 | Abril 2024

UN PROTECTOR BUCAL DE CAMPEONATO

El Dr. Manuel Máiquez fue el encargado de diseñar el protector bucal que utilizó Ilia Topuria, el nuevo campeón del mundo de la UFC, la noche en la que se alzó con la victoria en peso pluma de las artes marciales mixtas.

Máiquez colaboró durante tres semanas con el equipo del flamante campeón para confeccionar varios dispositivos intrabucales para los hermanos

Topuria en el Training Camp, organizado en Alicante por el doctor Aldo Martínez. El proceso tuvo como objetivo el prototipado y ejecución de protectores bucales personalizados y férulas deportivas y finalizó con la creación de unos dispositivos odontológicos adaptados a las particularidades anatómicas de ambos luchadores, quienes han participado en su personalización y customización, destacan desde la UCAM, centro en el que el Dr. Máiquez es vicedecano de Grado de Otontología.

Durante este proceso, contó con la participación de otros doctores, graduados en la UCAM, Mike Saint-Hilaire y Laila Rizqy Alma. «Para un deporte de combate tan exigente como las artes marciales mixtas (MMA) diseñamos un producto exclusivo, confeccionado a base de varias capas de copolímeros que atenúan los impactos hasta un 80%, y que no solo les ayudan a reducir el riesgo de sufrir fracturas dentoalveolares, sino también a minimizar la aparición de posibles conmociones cerebrales derivadas de impactos indirectos en la mandíbula», destaca el Dr. Máiquez.

En el diseño y confección del dispositivo se utilizaron materiales de última generación, escáneres digitales, software 3D, electromiografía de superficie y se contó con la intervención de un prestigioso técnico dental con años de estudio y experiencia en el campo de la Odontología del deporte.

Los protectores bucales fabricados a medida son los únicos capaces de reducir significativamente los posibles daños derivados de los impactos, al tiempo que permiten respirar correctamente, otorgan estabilidad a la mandíbula y optimizan el equilibrio neuromuscular del deportista con la tecnología utilizada, también importada de Italia. Asimismo, la férula diseñada se enfoca principalmente para minimizar los efectos del bruxismo y evitar parafunciones de aparición nocturna, contribuyendo a favorecer el descanso adecuado del atleta, según explicó Máiquez.

93 Gaceta Dental · N o 365 | Abril 2024
El Dr. Máiquez colaboró durante tres semanas con el equipo de Ilia Topuria. Foto: Aldo Martínez. Dr. Manuel Máiquez. PROTAGONISTAS

La SEOD firmó su adscripción al Consejo General de Dentistas como a finales del pasado año. En la foto, el Dr. Máiquez junto al Dr. Óscar Castro, presidente de la Organización Colegial.

–El éxito de cualquier sociedad científica depende, en gran medida, del número de socios activos que sea capaz de atraer. Aunque nuestra asociación cuenta con una Junta

Directiva donde están representadas cuatro nacionalidades (española, marroquí, francesa y brasileña) y varios profesores universitarios, necesitamos aumentar el número de socios. Ellos son nuestro motor, no solo científico, sino también económico, ya que con sus inscripciones nos permitirán hacer eventos formativos cada vez más variados, numerosos y abarcando más ciudades de España. Otros protagonistas también importantes en esta ecuación son las casas comerciales, los Colegios Oficiales de Dentistas y las universidades. SEOD está abierta a todo aquel que se sienta identificado con su espíritu fundacional y quiera poner su granito de arena para dar visibilidad a esta labor.

–Recientemente, se han adherido al Consejo General de Dentistas. ¿Qué supone este paso para la SEOD?

Hay que tener en cuenta que, cada euro que se invierte en prevención se transforma, con creces, en la obtención de mejores resultados y menor tiempo de recuperación de estas patologías por parte de los atletas y todas las federaciones y clubes quieren contar con deportistas que puedan rendir al máximo nivel.

–Fomentar la realización de estudios relacionados con la Odontología y el deporte; crear vínculos científico-deportivos a nivel nacional e internacional; o colaborar con otras sociedades científicas, federaciones deportivas y entidades públicas y privadas, son algunos de los objetivos de la SEOD. ¿Cómo se canalizan los esfuerzos de la organización para lograrlos?

–Pues supone devolver a la asociación a la que siempre fue «su casa», poniendo a disposición del Consejo todo nuestro conocimiento en este ámbito. Ir de la mano de una institución que representa a más de 41.000 dentistas en España es siempre una gran responsabilidad, que aceptamos con gratitud, y que a buen seguro permitirá una mayor difusión del mensaje que pretendemos transmitir, y no es otro que los deportistas sean capaces de identificar al odontólogo como un profesional sanitario que puede, entre otras muchas cosas, contribuir a la prevención de lesiones musculares. No solo somos capaces de alinear los dientes para que luzcan perfectamente en las fotografías cuando muerden una medalla, gesto que se realiza a cualquier edad y que se convierte en la instantánea más reclamada por los fotógrafos de cualquier evento deportivo. Desde la antigüedad, esta tradición de los comerciantes que comprobaban la autenticidad de las monedas de metal llevándoselas a la boca y mordiéndolas, es la mejor campaña de marketing gratuito que la historia nos ha

94
Gaceta Dental · N o 365 | Abril 2024
PROTAGONISTAS. Dr. Manuel Máiquez

regalado a los dentistas que trabajamos con atletas. Y deberíamos hacer uso de ella.

–Actualmente, la formación que se ofrece en este campo es escasa como ya ha mencionado. Usted, como profesor, ¿qué líneas estratégicas considera que se deben seguir para que los centros empiecen a incorporar dichas enseñanzas?

–Ser los primeros en impartir Odontología Deportiva en una universidad de España nos ha dotado de experiencia y contactos a nivel internacional como para dar el salto a impartir una formación de posgrado, de la mano de Postgrado en Odontología de la Universidad Católica San Antonio de Murcia (PgO UCAM), donde vamos a transformar y profundizar en el contenido que venimos impartiendo, con el Máster Internacional de Odontología del Deporte avalado por varias universidades y sociedades científicas homónimas pertenecientes a otros países. Este proyecto, que aúna como docentes a profesionales de Chile, Brasil, Italia y España, nace para cubrir con rigor científico la cada vez más creciente demanda por formación especializada en nuestro país, pero con el consenso internacional global al cual hemos llegado especialistas de varias nacionalidades. En mi opinión, es una cuestión de tiempo,

conforme vayamos formando a dentistas especializados en deporte, que otras universidades de España valoren incorporar a sus planes de estudio esta y otras asignaturas que se irán instaurando más adelante. La Odontología de nuestro país se encuentra entre las mejores del mundo y la gran ventaja es que se adapta con gran celeridad a los cambios que proporciona, entre otros factores, la tecnología.

–Además de la formación, ¿a qué otros retos se enfrenta la Odontología deportiva?

–Tanto en el deporte como en la vida, tenemos que ser capaces de focalizar hacia dónde queremos dirigirnos sin pensar en las dificultades que podamos encontrar por el camino. Pienso que no hay metas inalcanzables, solo que algunas requieren de mucho más tiempo del que inicialmente concebimos. Tenemos la posibilidad de empezar a cambiar la mentalidad de los estudiantes para que pongan en valor la Odontología del Deporte, innoven, la desarrollen y puedan ejercerla como profesión el día de mañana.

El deporte es una cuestión de superación y los dentistas podemos contribuir de forma muy activa a que los atletas consigan sus metas. Hay que tener fe, trabajar y confiar en que el futuro sea siempre esperanzador. ●

95
Dr. Manuel Máiquez. PROTAGONISTAS

A fondo

Estrategias para reducir la odontofobia

La salud bucal es esencial para mantener una calidad de vida óptima, pero, para muchos pacientes, el estrés e, incluso en algunas ocasiones, el pánico, pueden convertirse en un obstáculo significativo. Estas emociones, combinadas con el temor al dolor odontológico, a menudo llevan al retraso de tratamientos necesarios, lo que puede resultar en patologías más graves a largo plazo. Desde un punto de vista profesional, ¿qué pueden hacer los dentistas para reducir la odontofobia de sus pacientes?

Uno de los principales desencadenantes de la odontofobia es el temor al dolor. Para algunos, este miedo surge a raíz de malas experiencias, mientras que para otros es simplemente una ansiedad generalizada hacia los tratamientos dentales y el dolor que estos puedan causar. Independientemente de su origen, el miedo al dentista u odontofobia, puede tener graves

consecuencias para la salud bucal y la salud en general. Sin embargo, los avances en la Odontología han llevado a una disminución significativa del dolor durante los tratamientos, creándose también herramientas específicas para reducir la odontofobia y propiciar una mejor experiencia del paciente.

Los profesionales de la Odontología son cada vez más conscientes de la importancia de abordar esta problemática.

96
Gaceta Dental · N o 365 | Abril 2024
«Uno de los principales desencadenantes de la odontofobia es el temor al dolor»
97
Freepik/Prostooleh. Odontofobia. A FONDO Gaceta Dental · N o 365 | Abril 2024
«Cada paciente es diferente y se debe personalizar el tratamiento en función de la situación en la que se encuentre»
Dr. Fernando Loscos

los dentistas y su personal pueden ayudar a aliviar la ansiedad y construir una relación de confianza.

PROTOCOLOS ESPECÍFICOS

En este sentido, es fundamental que las clínicas dentales cuenten con un protocolo para actuar de la mejor manera posible ante este tipo de situaciones. En Clínica Dental Loscos tienen un protocolo establecido para este tipo de pacientes, que se activa desde el primer momento en que el paciente se pone en contacto con ellos.

«En primer lugar, al paciente con odontofobia hay que detectarlo antes de que llegue a la consulta, es decir, en el momento en que se pone en contacto con nosotros. La persona que le atiende, generalmente por teléfono en este primer contacto, debe tranquilizarlo y activar un protocolo específico. Esta forma de actuar debe ser bien conocida por el personal de recepción», explica el Dr. Fernando Loscos, director clínico de la consulta.

A continuación, detallan desde la clínica zaragozana, «cuando el paciente acude a su cita es recibido por el personal especializado en el protocolo y se le hace pasar directamente a la consulta. Previamente, se le explica que el doctor le está esperando, que le contará tranquilamente cuáles son sus problemas y que solo, cuando dé su autorización, se le practicará una exploración bucal no intervencionista. Posteriormente, el doctor le explicará el tratamiento y valorará con el paciente cómo hacerlo y qué herramientas se van a utilizar».

Muchas clínicas dentales están implementando enfoques «más amigables» para crear un ambiente menos estresante. La comunicación abierta y la empatía por parte de

No obstante, como indica el Dr. Loscos: «Cada uno de estos pacientes es diferente y se debe personalizar el tratamiento en función de la situación en la que se encuentren. En estas

98
El Dr. Fernando Loscos, director clínico de Clínica Dental Loscos.
A FONDO. Odontofobia Gaceta Dental · N o 365 | Abril 2024

LA ERA DIGITAL TAMBIÉN

HA LLEGADO A EXPADENT

…y como siempre con los precios más competitivos del mercado

Escanea el código QR con tu smartphone para acceder al listado de precios o accede a www.expadent.com/precios

CORONA ZIRCONIO MULTICAPA

49,90 euros

Hemos mejorado nuestro sistema de gestión, y ahora cualquiera de nuestros clientes podrán realizar los pedidos directamente desde nuestra aplicación, intuitivamente.

También permite hacer un seguimiento total del proceso de fabricación y de envío del pedido realizado.

LÍDERES EN LA ELABORACIÓN DE PRÓTESIS DENTALES  +34 910 059 139  info@expadent.com www.expadent.com
TUS
STL
MÁNDANOS
ARCHIVOS
Y NOS PONDREMOS MANOS A LA OBRA
YA DISPONIBLE EXPADENT APP

situaciones, casi más que dentistas, somos psicólogos».

En el caso de esta clínica dental activan un «protocolo de acompañamiento» para que el paciente nunca se quede solo, que siempre esté al lado la misma persona del equipo durante todo el tratamiento de principio a fin.

«Esta persona -indica el Dr. Loscos- debe ganarse la confianza del paciente. Para ello, le mostrará un seguimiento constante, lo animará a seguir adelante con el tratamiento, elogiando sus progresos y tranquilizándolo en el caso de que experimente una gran ansiedad».

DISPOSITIVOS

ANTIESTRÉS PARA MEJORAR LA COMUNICACIÓN

«La anestesia digital por ordenador no solo reduce el dolor del pinchazo, sino que también elimina el malestar posterior»
Carlos Pérez

Otra de las herramientas para reducir la odontofobia que utilizan en la Clínica Dental Loscos son los dispositivos antiestrés.

«Estos dispositivos se entregan junto con unos auriculares para que el paciente pueda poner la música que más le apetezca o que le ayude a relajarse. Todo esto funciona como complemento al protocolo previamente establecido para este tipo de pacientes», destacan.

Los dispositivos antiestrés son herramientas pequeñas que el paciente puede tener en la mano y que le permiten comunicarse con el doctor y el auxiliar. Cuando se presiona el dispositivo, emite un sonido que alerta al doctor, quien interrumpe su intervención para atender las necesidades del paciente. «Hemos observado que el paciente se siente más seguro y nos interrumpe menos cuando tiene el dispositivo. En el caso de los niños, el funcionamiento es similar; pueden interpretarlo como un juego, lo que les genera confianza. Sin embargo, es importante explicarles muy bien las normas de este juego», detalla el Dr. Loscos.

TRATAMIENTOS SIN MOLESTIAS NI DOLOR

Siguiendo con los avances tecnológicos, en los últimos años se han desarrollado herramientas que contribuyen a mejorar la comodidad

100
Sistema de anestesia digital por ordenador, STA System, que utilizan en Malmö Clínica Dental.
Gaceta Dental · N o 365 | Abril 2024 A FONDO. Odontofobia

de los pacientes mientras están en el sillón dental, sobre todo si estos tienen que someterse a algún tratamiento con anestesia. Ese miedo al pinchazo puede generarles ansiedad y hace que, en muchas ocasiones, éstos retrasen el tratamiento con las importantes implicaciones que conlleva.

Para evitarlo, en Malmö Clínica Dental implementaron ya en 2015 la anestesia digital por ordenador, STA System. «Con este enfoque, el miedo se elimina por completo, lo que permite a los pacientes acudir a sus citas sin ansiedad o preocupación por el dolor o las molestias», explica Carlos Pérez, responsable de tratamientos de esta clínica de la localidad madrileña de Móstoles. «Este sistema no solo reduce el dolor al pinchazo de la anestesia, sino que también elimina el malestar posterior. Una vez finalizado el tratamiento, el paciente no tiene esa sensación de entumecimiento en la boca o en un lado de la cara», aclara Carlos Pérez.

¿Cómo funciona este sistema de un modo más concreto? «El doctor planifica los parámetros de la máquina, previa formación, según el tipo de encía del paciente y del tratamiento que se va a realizar. También permite programar el nivel de presión para que el paciente no sienta nada. El dispositivo funciona con un sensor que mide la sensibilidad del paciente, de tal forma que va guiando al profesional para encontrar el mejor punto para que entre la aguja e inyectar la anestesia. Este procedimiento tiene una duración aproximada de 4 minutos. Otra de las ventajas de este sistema es que la aguja, otro de los temores más comunes de los pacientes, apenas está visible», destacan desde la clínica mostoleña

«Los perros de terapia nos permiten trabajar en mejores condiciones y, por lo tanto, obtener mejores resultados en los tratamientos»
Dra. Paula Bousoño

Al mismo tiempo, cuentan con su protocolo específico de atención al paciente con miedo al dentista. «Explicamos el procedimiento de la anestesia digital mediante una

101
La Dra. Paula Bousoño Serrano y la higienista Paola Fernández García, junto a Quilla, perro de terapia de la Asociación Terapydogs.
Odontofobia. A FONDO Gaceta Dental · N o 365 | Abril 2024

presentación en la que el paciente puede ver cómo es el aparato y cómo funciona, lo que ayuda a tranquilizarle. La primera cita es la que cuesta más, pero cuando en esa primera experiencia no hay dolor ni molestias, las siguientes son más sencillas, e incluso se quedan

dormidos en la silla pacientes que antes no podían entrar en la clínica», detallan.

PERROS DE TERAPIA:

UN NUEVO ENFOQUE PARA REDUCIR LA ODONTOFOBIA

«La comunicación abierta y la empatía pueden ayudar a aliviar la ansiedad y construir una relación de confianza»

La terapia con perros de compañía ha emergido como una innovadora y eficaz estrategia para mitigar la odontofobia y relajar a los pacientes durante sus tratamientos. La conexión emocional que se establece con los perros no solo proporciona distracción y calma, sino que también contribuye a crear un ambiente de confianza y seguridad en la consulta.

En este sentido, en el Centro Odontológico Miguel González de Oviedo, además de técnicas de manejo de conducta psicológicas,

BENEFICIOS DE UTILIZAR PERROS DE TERAPIA EN LA CONSULTA

Los perros de terapia no solo ayudan a reducir el miedo de los niños, sino que facilitan el trabajo de los profesionales ante este tipo de pacientes:

1. Las caricias al perro durante el tratamiento aumentan la liberación de dopamina y serotonina, lo que promueve la relajación y disminuye la angustia, ansiedad y el umbral del dolor.

2. La interacción con los perros disminuye los niveles de cortisol, la presión arterial y la frecuencia cardíaca, lo que favorece la relajación y el bienestar físico durante el tratamiento dental.

3. La presencia del perro y la interacción con él ayudan a los niños a desarrollar habilidades de autocontrol y a sentirse más seguros durante la sesión. Esto contribuye a mejorar su confianza y autoestima.

4. Los perros de terapia actúan como un soporte emocional para los niños durante el tratamiento, aumentando su sensación de seguridad y bienestar emocional.

5. La presencia de los perros en la clínica dental facilita el establecimiento de un vínculo más estrecho entre el paciente y el personal sanitario, lo que promueve una comunicación más efectiva y una experiencia más positiva en el tratamiento dental.

6. Los perros son excelentes mediadores emocionales que ayudan a crear un ambiente más relajado y positivo en la clínica dental, lo que beneficia tanto a los niños como al personal sanitario.

102
Gaceta Dental · N o 365 | Abril 2024
A FONDO. Odontofobia

premedicación oral o sedación inhalatoria o intravenosa, cuentan con un departamento específico de Odontopediatría con especialización en pacientes con necesidades especiales y niños con signos de odontofobia, y en el que se incluye la terapia asistida con perros. «Somos pioneros en este campo. Apostamos por la investigación, especialmente en todo lo que pueda convertir la visita al dentista en una experiencia positiva tanto para los pacientes como para sus padres. En muchas ocasiones, estos últimos llegan angustiados y derivados por otros compañeros. Por ello, nos pusimos en contacto con Terapydogs, que es una asociación dedicada a las intervenciones asistidas con perros. Desde el primer momento se estableció una colaboración que nos ha impresionado muy positivamente y que nos resulta muy eficaz», indican desde la clínica.

Los perros están entrenados para realizar este tipo de actividades, participan en los tratamientos que no requieren cirugía (primeras visitas, revisiones, higienes y obturaciones, entre otros) y solo están presentes en el área de recepción, sala de espera y un gabinete adaptado. Los beneficios de esta actividad son múltiples y, como señala la doctora Paula Bousoño, odontopediatra del Centro Miguel González, «les sirve de ayuda en múltiples momentos de la atención odontológica, como, por ejemplo, en la etapa previa a la cita donde los perros de terapia son incentivos y un elemento motivador para acudir al centro; en la sala de espera mediante el juego y las habilidades caninas, que ayuda a distraer tanto al niño como a los padres; y también en el gabinete dental, espacio donde las caricias

«Los dispositivos antiestrés son herramientas pequeñas que el paciente puede tener en la mano y que le permiten comunicarse con el doctor y el auxiliar»

al perro durante el tratamiento aumentan la liberación de dopamina y serotonina, produciendo una relajación y permitiendo alcanzar un grado de serenidad».

Además de crear un buen recuerdo y experiencias agradables y divertidas en niños y pacientes con necesidades especiales, este tipo de terapia también es de gran utilidad para el equipo de la clínica. «Nos permite trabajar en mejores condiciones y, por lo tanto, obtener mejores resultados en los tratamientos», señalan.

Entre su «personal canino» cuentan con perros de agua, ya que esta raza es hipoalergénica y no suelta pelo. «En los casos en los que se necesita la intervención de los perros, estos vienen acompañados por su guía, y el personal de clínica se centra en su labor dental. Es importante tener claro que cada persona en el gabinete debe tener su función y que la atención de los perros queda a cargo de una persona especializada», concluye la Dra. Bousoño. ●

103
Odontofobia. A FONDO Gaceta Dental · N o 365 | Abril 2024

A la última

Clínica CICOM Monje

Ofrecer inmediatez y soluciones, teniendo siempre un control exhaustivo de todo, monitorizando con frecuencia e integrándoles en el plan de tratamiento. Así es como tratan al paciente en la Clínica CICOM Monje, una clínica familiar de Badajoz fundada por el reputado cirujano maxilofacial Florencio Monje. Una clínica recientemente renovada con el objetivo principal de ofrecer más comodidad y accesibilidad a sus pacientes, el eje de todo, y que cuenta con la mejor tecnología para brindar mejores resultados, diagnósticos más precisos y agilizar procesos.

Unos 25 años de trayectoria y más de 24.000 pacientes tratados de 15 nacionalidades diferentes. Esos son algunos de los datos que definen el buen hacer de la Clínica CICOM Monje, uno de los centros médicos más avanzados e innovadores a nivel nacional e internacional situado en Badajoz. Tal y como destaca su fundador, el Dr. Florencio Monje, «desde el principio, CICOM Monje comenzó con una orientación hacia la Cirugía Oral y Maxilofacial. Posteriormente, se amplió con profesionales de otro tipo de disciplinas tanto médicas como odontológicas, siempre encaminados hacia un tratamiento integral del paciente».

Para ello, añade, «hemos trabajado siempre tratando de fomentar

la excelencia, sin dar mucha importancia a los números ni a los récords de intervenciones en un día. Sobre todo, hemos procurado estar siempre a la última, en el diagnóstico y en el tratamiento, y hemos invertido en la tecnología que nos diera seguridad».

Una seguridad que también le proporciona trabajar con sus dos hijos, Alberto y Gonzalo, y para quienes solo tiene palabas de agradecimiento: «De mis hijos aprendo mucho. La juventud de ambos me ayuda a comprender novedosas formas de trabajo. Gonzalo, como gerente de la clínica, me aporta nuevas ideas para incorporar a nuestro centro de trabajo; una visión que aporta de forma exclusiva la juventud. Alberto, como experto periodoncista de referencia internacional, me aporta un conocimiento exhaustivo

104
Gaceta Dental · N o 365 | Abril 2024
105
Gaceta Dental · N o 365 | Abril 2024 Clínica CICOM Monje. A LA ÚLTIMA
El equipo al completo y las nuevas instalaciones de la clínica. Imágenes: cedidas por CICOM Monje.
«Las nuevas tecnologías en nuestro campo han sido fundamentales, por supuesto, en términos diagnósticos, pero también para optimizar la comunicación»

Dr. Alberto Monje

y actualizado en Implantología y Periodoncia. Es un orgullo saber que les puedo pedir consejo tanto a uno como a otro».

Y aunque el hecho de trabajar en un ambiente familiar tiene beneficios como, por ejemplo, la defensa de la marca, el Dr. Florencio Monje destaca que «también tiene sus inconvenientes, como es aprender la importancia de separar el marco familiar del marco laboral».

Para Gonzalo Monje, por su parte, «todo fueron ventajas desde el primer momento, tanto en el proceso de mi adaptación en la empresa como para solucionar las cuestiones que puedan ir surgiendo. En ese sentido, sabemos diferenciar nuestra relación cuando estamos en la clínica y fuera de ella. Un hijo debería aprender de su padre infinidad de cosas sin la necesidad de trabajar con él. Florencio es una persona muy transparente, su forma de ser es tal como se puede ver, con unos valores y objetivos en la vida muy bien definidos. Pero desde que trabajo en la clínica, empresarialmente lo que más destaco de él es el trato humano

tanto con pacientes como con trabajadores. Esta es la máxima que me guía en mi actuación de gerente y en mi trabajo diario. Al fin y al cabo, es la base de cualquier tipo de relación fructífera».

«En definitiva, mi padre nos ha inculcado muchas cosas a mi hermano Alberto y a mí, pero la más importante es que busquemos la excelencia en todo lo que hagamos, y es lo que hacemos en la clínica para que nuestros pacientes disfruten de una experiencia agradable desde que entran por primera vez en nuestras instalaciones hasta que terminan su tratamiento», apostilla.

Una opinión a la que se suma su hermano, el Dr. Alberto Monje, quien añade: «Es un lujo poder aprender de otra disciplina, como es la Cirugía Oral y Maxilofacial; es algo que te enriquece profesionalmente. Pero, además, el hecho de trabajar con mi padre y con mi hermano es algo que también me enriquece personalmente».

Asimismo, el papel de Pilar Correa, cónyuge de Florencio y madre de Alberto y Gonzalo, siempre ha sido fundamental. «Pilar es «la jefa de la tribu», es la persona a la que le debo absolutamente toda mi vida familiar y profesional. Gracias a ella soy lo que soy. La clínica, lo que aporto a la sociedad y todo lo que yo tengo, en general, es un empeño suyo. Es la persona que siempre está a mi lado, en cada proyecto emprendido siempre con su apoyo y comprensión», cuenta el Dr. Florencio Monje.

También hay trabajadores que llevan en la clínica más de 15 años, un dato, para el Dr. Florencio Monje, «que nos avala como un centro que cuida de los suyos. Nuestra intención es tener trabajadores que tengan

106
Gaceta Dental · N o 365 | Abril 2024

Bilbao

29 Mayo 

1 Junio 2024

Excelencia

clínica basada en
evidencia científica.
la

A LA ÚLTIMA. Clínica CICOM Monje

un proyecto a largo plazo con nosotros. Tenemos un grupo versátil, solidario y trabajador, pero lo que más destacaría es la unión de todo el grupo que hace que el ambiente sea el idóneo para trabajar».

LA DIGITALIZACIÓN, UN PROCESO «INTENSO E ILUSIONANTE»

Para convertirse en un centro de excelencia, la tecnología, como no podía ser de otra manera, ha tenido mucho que ver y no se imaginan la práctica clínica sin ella. «La digitalización ha sido un proceso intenso e ilusionante. Por ejemplo, en 2021 decidimos eliminar el papel y poner en marcha el proceso de digitalización de todos los documentos que teníamos en la clínica. Imagínate, 24.000 historias clínicas, cada una con sus documentos. La consecuencia de todo esto, además de la eliminación de papel, ha sido la inmediatez en la búsqueda de datos, que para nosotros es básico para dar el mejor servicio posible», cuenta Gonzalo Monje.

Un servicio que cuenta con las mejores herramientas digitales del mercado: tomografía axial computerizada, escáner intraoral 3D, acelerador de blanqueamiento, aeropulidores, láser de Erbium, plasma rico en fibrinas, sistema electrolítico y láser de diodo de luz azul LX 16 Plus.

Además, desde la clínica quieren seguir incorporando más tecnologías que sigan favoreciendo el trabajo y comodidad de los pacientes, cumpliendo, por supuesto, con las máximas de eficiencia energética. «Nuestra lista de deseos es muy amplia, pero lógicamente hay que ir despacio. Estamos trabajando con nuestra Fundación -recientemente

108
Gaceta
· N o 365 | Abril 2024
Para convertirse en un centro de excelencia, la tecnología, como no podía ser de otra manera, ha tenido mucho que ver.
Dental

reestructurada- y varias entidades públicas y privadas en nuevas y novedosas tecnologías que con la IA puedan simplificar los tiempos de espera».

Pero, ¿cómo han contribuido todas estas tecnologías al desarrollo de la Cirugía Maxilofacial, la Periodoncia o la Implantología? -campos de especialización de la clínica-. «Nuestra especialidad, la Cirugía Oral y Maxilofacial, tiene la ventaja de que se lleva muy bien con las nuevas tecnologías, algo corroborado con el paso de los años. Por ejemplo, otras especialidades médicas son más primarias y más difíciles de infiltrar por la tecnología. Recuerdo perfectamente que, con la cirugía guiada y con la planificación en cirugías ortognáticas, se empezó un camino que ha tenido un progreso increíble y que, sobre todo, ayudó a simplificar los tratamientos y mejorar la calidad de vida de los pacientes», cuenta el Dr. Florencio Monje.

«Las nuevas tecnologías en nuestro campo, la Cirugía Oral y Maxilofacial y Periodoncia, han sido fundamentales, por supuesto, en términos diagnósticos, pero también para optimizar la comunicación con el paciente. Todo ello nos lleva a realizar, cada vez de forma más exacta, la mínima invasión», comenta el Dr. Alberto Monje.

Y para ofrecer los mejores servicios y calidad a los pacientes, hay que estar al día y reciclarse. «La formación es la base de una organización, sea del tipo de sea. Está bien contabilizar horas por rentabilidad de cada uno de los puestos de trabajo, pero esa no debe de ser la motivación principal. Nuestra filosofía es que cada trabajador se forme lo mejor posible para desempeñar su tarea, la que

LA INVESTIGACIÓN, PILAR DEL DR. FLORENCIO MONJE

Hace unos años, bajo la coordinación del Dr. Florencio Monje, nació la APP «Mis-TMJ», una aplicación que enseña a operar, mediante 8 videojuegos, con innovadoras técnicas quirúrgicas. Y es que, según el Dr. Monje, «estamos en la época de la utilización continua de tecnología de forma general, y en nuestra especialidad es clave que apoye la experiencia clínica, especialmente para la transmisión del aprendizaje de una actividad. Es curioso que estamos en un momento en el que se penaliza el uso del móvil por su capacidad de adicción y de distracción. No lo voy a negar, pero es indudable que es un arma con un potencial increíble para el aprendizaje. Hay disponibles miles de videojuegos para el smartphone y las tablets, ¿por qué no se pueden utilizar para entrenar y para enseñar?».

Además, ahora «estamos orientados y trabajando en el campo de la telemedicina y la inteligencia artificial. Hay varios proyectos que, además, conllevan la implicación de nuestra Fundación (FEDICOM) junto a otras instituciones públicas y privadas. Son proyectos que irán saliendo a lo largo de estos próximos años y que no dejarán indiferente a muchos», añade.

109
Gaceta Dental · N o 365 | Abril 2024
ÚLTIMA
Clínica
CICOM Monje. A LA

tenga, y seguir siendo un centro de referencia en excelencia, tecnología e innovación», señala el Dr. Florencio Monje.

Su hijo Alberto, por su parte, explica que «nuestro equipo no solo recibe formación de manera constante a través de sociedades científicas u otras plataformas, sino que también somos líderes de opinión y como tal nos dedicamos parcialmente a instruir a otros compañeros que así lo desean con la premisa de conseguir los resultados que nosotros obtenemos tras muchos años de refinamiento».

LA GESTIÓN Y LA COMUNICACIÓN, TAMBIÉN NECESARIAS

Con un número tan elevado de pacientes, con un equipo de una veintena de personas… una buena gestión se antoja fundamental. «Creemos que una buena gestión se consigue con formación, ilusión y rodeándote de un buen equipo, el cual forme una familia. Estos ingredientes hacen que, cuando hay algún problema dentro de la empresa, se arregle al instante», subrayan.

La comunicación es otra parcela a la que dedican tiempo y esfuerzos desde CICOM Monje. Como detalla Pedro Vinteño, responsable de este departamento, «puedo repetir la famosa frase que tenemos los comunicadores: «Lo que no se cuenta, no existe». Hoy día, antes de ir a cualquier sitio, miramos las reseñas, buscamos en redes, nos informamos a través del móvil y luego vamos. Esto se hace para un restaurante, una tienda de ropa y, por supuesto, los servicios médicos». Y es que, la comunicación y la medicina son dos disciplinas muy relacionadas y que, con vías de colaboración, «pueden hacer grandes hazañas en

«Nuestro equipo no solo recibe formación de manera constante a través de sociedades científicas u otras plataformas, sino que también somos líderes de opinión»

conjunto. Nuestra estrategia es ser constantes, pero también serios y, sobre todo, teniendo en cuenta cómo es el paciente que visita nuestras instalaciones», explica Pedro Vinteño.

«Creo que lo que nos aporta es la visibilidad del trabajo hecho. Por ejemplo, son muchas las personas que esperan con impaciencia nuestros vídeos de Navidad o verano. Además, junto a nuestra Fundación (FEDICOM), estamos trabajando ahora en el proyecto de documental «Una sombra en el rostro de Freud», en el podcast Maxil-Arte o una serie destinada a una plataforma muy conocida», concluye. ●

CLÍNICA CICOM MONJE

¿Dónde está?

-Calle Juan Miró, s/n. Local 16 y 17. Badajoz.

¿Quieres saber más?

110
Gaceta Dental · N o 365 | Abril 2024 A LA ÚLTIMA. Clínica CICOM Monje

TE AYUDAMOS

EN EL PROCESO CAD/CAM QUE NECESITES

CENTRO DE DISEÑO Y PRODUCCIÓN DE ESTRUCTURAS MEDIANTE CAD/CAM

Fresado Diseño de la prótesis

Sinterizado Impresión 3D

Férulas de descarga

Férulas de avance mandibular

Modelos

Provisionales

TIPOS DE TRABAJOS Y MATERIALES DISPONIBLES

Unitario anatómico atornillado

Cr-Co | Ti

Unitario sobre interfase

Cr-Co | Ti | Zr | PMMA | Composite

Puente anatómico atornillado

Cr-Co | Ti

Pilar personalizado

Cr-Co | Ti

Descúbrenos

Corona o puente cementado

Cr-Co | Ti | Zr | PMMA | Composite e.max CAD

Rehabilitación anatómica atornillada

Cr-Co | Ti

Puente sobre interfase

Cr-Co | Ti | Zr | PMMA | Composite

Barra híbrida y simple

Cr-Co | Ti

GARANTÍA DE 30 AÑOS*

Laboratorio de prótesis dental HTL CAD / CAM - Lab, S.L. *En todos nuestros diseños de prótesis en Cr-Co y Ti. Tel.: (+34) 945 160 658 info@htlcadcam.com
¿POR QUÉ USAR CAD/CAM Y POR QUÉ HTL?

Explorando el universo de las impresoras 3D en Odontología

112 Gaceta Dental · N o 365 | Abril 2024 TENDENCIAS. Rincón digital
Guía quirúrgica impresa. Imagen: cedida por el Dr. Fragola.

Continuado con nuestro enfoque de arrojar un poquito de luz sobre temas de candente actualidad, esta vez le ha tocado el turno a las impresoras 3D, un mundo fascinante en fase de crecimiento exponencial y con posibilidades ilimitadas.

En la actualidad hay infinidad de impresoras en el mercado con diferentes aplicaciones, dependiendo de la tecnología y materiales que emplean, llegando, incluso, al mundo de la gastronomía con la impresión de tartas personalizadas, galletas y hamburguesas vegetales con sabor a carne; todo un mundo por explorar.

Las impresoras 3D hicieron su aparición en Odontología en la década de los 90, inicialmente empleadas para crear modelos dentales a partir de escaneados de modelos físicos.

A medida que avanzaron los años 2000, su uso se expandió a la fabricación de guías quirúrgicas personalizadas para la colocación

«Las impresoras 3D constituyen una nueva revolución para la Odontología, transformando el modo en que se fabrican modelos y prótesis dentales»

de implantes dentales, facilitando un abordaje más preciso

En los años posteriores, estas impresoras se convirtieron en una herramienta estándar para la fabricación de modelos de estudio y diagnóstico, prótesis dentales y férulas de descarga. Hoy en día, las impresoras 3D son cada vez más frecuentes en los laboratorios y están ganando cuota de penetración en las clínicas, permitiendo una fabricación precisa y personalizada de una gran variedad de dispositivos que mejoran significativamente la atención y el tratamiento dental.

Las impresoras 3D constituyen una nueva revolución para la Odontología, transformando el modo en que se fabrican modelos y prótesis dentales. En general podemos decir que emplean la tecnología de fabricación aditiva para construir objetos tridimensionales por capas a partir de materiales específicos para uso dental.

Estos materiales pueden incluir resinas fotopolimerizables,

Director médico de Estudio Dental Majadahonda. Licenciado en Odontología, Universidad Complutense de Madrid.

Máster en implantología, Periodoncia y Rehabilitación Oral, New York University.

Senior fellow y speaker ITI (International Team for Implantology). Anthogyr international speaker.

CEO IDE

Immersive Dental Experiences.

Tendencias
DR. GIULIANO FRAGOLA
113 Gaceta Dental · N o 365 | Abril 2024 Rincón digital. TENDENCIAS

TIPOS DE IMPRESORAS

Existen en el mercado varios tipos de impresoras en función de la tecnología empelada:

Imagen:

«Con las impresoras se pueden fabricar una amplia variedad de productos en cuestión de horas, en comparación con los métodos tradicionales que pueden llevar varios días o semanas»

-Impresoras estereolitográficas (SLA). Utilizan un láser ultravioleta para solidificar resinas fotosensibles capa por capa, ofreciendo una alta precisión y detalles finos en los modelos impresos. Son ideales para la fabricación de modelos de estudio, restauraciones provisionales o guías quirúrgicas, teniendo como desventaja el tiempo para llevar a cabo la impresión y la necesidad de un posprocesado posterior del objeto impreso para obtener el producto definitivo.

-Impresoras con tecnología DLP (Digital Light Processing). El DLP utiliza un proyector digital que emite luz sobre una superficie transparente para polimerizar la resina líquida fotosensible contenida en una cubeta o reservorio capa por capa, permitiendo una alta velocidad de impresión y detalles finos en los modelos impresos. Esta tecnología es especialmente adecuada para la fabricación de alineadores transparentes para ortodoncia, además de los ya mencionados elementos imprimibles con la tecnología SLA.

-Impresoras con tecnología

cerámicas, metales y polímeros biocompatibles que se utilizan para fabricar diferentes elementos como modelos de estudio, incrustaciones, coronas, carillas, prótesis parciales y completas o alineadores, entre otros.

Con las impresoras se pueden fabricar una amplia variedad de productos, en la clínica o en el laboratorio, en cuestión de horas, en comparación con los métodos tradicionales que pueden llevar varios días o semanas.

LCD (Liquid Crystal Display). La tecnología LCD utiliza una pantalla LCD para curar resina líquida fotosensible capa por capa. Ofrece una impresión rápida y precisa, con una buena resolución y detalles finos en los modelos impresos.

Esta tecnología es similar al DLP, pero puede ser más asequible, ofreciendo una buena calidad de impresión para aplicaciones dentales.

-Impresoras de deposición de filamento fundido (FDM). Son

Cubeta de impresión personalizada impresa. cedida por el Dr. Fragola.
114 Gaceta Dental · N o 365 | Abril 2024 TENDENCIAS. Rincón digital

dispositivos que extruyen filamentos de material termoplástico que se solidifican capa por capa para formar el objeto impreso. Son más asequibles en comparación con otras tecnologías de impresión 3D, pero como contrapartida tienen una menor resolución y precisión en comparación con las impresoras SLA, o DLP.

-Impresoras de polvo y aglutinante (Binder Jetting). Estas impresoras utilizan un cabezal de impresión para rociar un aglutinante sobre una capa delgada de polvo, solidificando así las capas y construyendo el objeto impreso. Son capaces de producir piezas a todo color y de forma rápida, ideales para la fabricación de modelos de diagnóstico y guías quirúrgicas, aunque la resolución y la precisión pueden ser inferiores en comparación con otras tecnologías de impresión 3D.

-Impresoras de sinterización selectiva por láser (SLS). Estas emplean un haz láser para fusionar polvo de metal o cerámica capa por capa, creando objetos sólidos. Ofrecen una alta precisión y la capacidad de imprimir en una amplia variedad de materiales, incluidos metales y cerámicas, pero son más costosas y requieren un mayor conocimiento técnico para operar en comparación con otras tecnologías de impresión 3D, siendo el laboratorio dental su principal campo de actuación.

En cuanto a los elementos que componen una impresora 3D disponemos de una fuente de luz generalmente en la base o cuerpo de la impresora que proyecta las capas que componen la pieza a imprimir; una superficie sobre la que se proyecta dicha imagen; un reservorio o bandeja que contiene la de resina; una plataforma móvil sobre la que

115 Gaceta Dental · N o 365 | Abril 2024 Rincón digital. TENDENCIAS
Prueba impresa para análisis estético y funcional. Imagen: cedida por el Dr. Fragola.

Impresora

Rapidshape y unidad de lavado y curado. Imagen: cedida por el Dr. Fragola.

se producirá la polimerización del objeto; un brazo vertical sobre el que se desplaza la plataforma en sentido vertical; y una tapa que evita que la resina polimerice por la acción de la luz natural.

Además, para el posprocesado se necesita un dispositivo de lavado para eliminar los restos de resina no polimerizada, y una estación de curado para endurecer la resina una vez impresa, para que esta adquiera todas sus propiedades de resistencia y durabilidad en función de las características de dicho material.

Estos elementos complementarios varían muchísimo de unos a otros, desde los totalmente manuales y artesanos a los completamente informatizados.

Dentro de las impresoras más conocidas en el mercado actualmente tenemos:

-Formlabs (SLA). Especializada en impresoras 3D de resina, Formlabs ofrece impresoras de escritorio de alta resolución que son ampliamente utilizadas en aplicaciones dentales, médicas, de ingeniería y diseño.

-Anycubic (LCD). Conocida por sus impresoras 3D de bajo coste, pero de buena calidad, Anycubic ofrece una variedad de modelos, incluyendo impresoras de resina y de filamento, que son populares entre los entusiastas de la impresión 3D.

-RapidShape (DLP). Es una empresa alemana especializada en la fabricación de impresoras 3D de alta precisión para la industria dental y joyera. Fundada en 2010, RapidShape ha establecido una reputación por ofrecer tecnología avanzada y soluciones innovadoras en el campo de la fabricación aditiva con una calidad y precisión inmejorables para las aplicaciones dentales.

-Stratasys. Esta marca ofrece una variedad de tecnologías de impresión 3D, incluyendo la deposición de material fundido (FDM), la estereolitografía (SLA), la polvo-aglutinación (PolyJet) y la sinterización selectiva por láser (SLS). Cada una de estas tecnologías tiene sus propias características y aplicaciones específicas; es una de las empresas líderes en el mercado de la impresión 3D a nivel mundial.

-SprintRay (SLA). Es una empresa especializada en tecnología de impresión 3D, particularmente en el ámbito de la Odontología y Medicina. Se destaca por ofrecer soluciones innovadoras y de alta calidad para profesionales dentales a un precio contenido.

TIPOS DE RESINAS

Para las impresoras en el ámbito odontológico se emplean resinas específicas que deben cumplir con los estándares de seguridad y calidad que marca la legislación vigente. En función de sus características podemos dividirlas en varios grupos:

116 Gaceta Dental · N o 365 | Abril 2024
Rincón digital
TENDENCIAS.

-Clase I - Resinas biocompatibles. Estas resinas están diseñadas específicamente para su uso en contacto directo con los tejidos del entorno bucodental. Son adecuadas para aplicaciones donde el material estará en contacto con los tejidos blandos y/o duros como puede ser en la fabricación de férulas de descarga, alineadores transparentes, coronas definitivas en unitarios, inlays, onlays y/o guías quirúrgicas.

-Clase II - Resinas híbridas. Estas resinas combinan propiedades de biocompatibilidad con una mayor resistencia y durabilidad. Son adecuadas para aplicaciones donde se requiere un equilibrio entre la fuerza mecánica y la compatibilidad biológica, como en la fabricación de modelos de estudio, provisionales de prótesis, y coronas provisionales.

-Clase III - Resinas cerámicas. Estas resinas están formuladas para imitar las propiedades estéticas y ópticas de la cerámica dental. Son ideales para aplicaciones donde se requiere una excelente estética y una alta resistencia a la abrasión, como en la fabricación de carillas, coronas y puentes definitivos.

-Clase IV - Resinas para modelos de estudio o de trabajo. Estas resinas se utilizan, principalmente, para la impresión de modelos de estudio y diagnóstico, y no están diseñadas para ser utilizadas en contacto directo con tejidos biológicos. Son ideales para aplicaciones donde se requiere una alta precisión y detalle en los modelos, como en la planificación de tratamientos de ortodoncia y cirugía con un coste ajustado para su uso intensivo.

Es importante tener en cuenta que la elección de la resina adecuada depende de la aplicación específica y las necesidades del paciente. Además, siempre se debe seguir las

recomendaciones del fabricante y las pautas de seguridad para el uso adecuado de las resinas en impresión 3D dental.

PASOS DEL PROCESO DE IMPRESIÓN

Los pasos para llevar a cabo el proceso de impresión pueden resumirse en:

1. Preparación del diseño digital. Se utiliza un software de diseño dental CAD (diseño asistido por computadora) para crear el diseño del modelo o de la prótesis u objeto que deseas imprimir.

2. Preparación del archivo para impresión. Una vez diseñado el elemento a imprimir, exportaremos el archivo que contiene el diseño (en el formato requerido por la impresora 3D) al software de gestión de impresión donde tendremos una réplica digital de la plataforma de impresión.

3. Preparación de la impresora. La impresora debe estar nivelada, calibrada para el material a utilizar y con el tanque o bandeja de impresión cargado de resina, ubicándola siempre en un lugar bien ventilado.

4. Inicio de la impresión. Una vez que la impresora esté configurada y el archivo esté listo, se inicia el proceso de impresión desde el software de control de la impresora.

Preparación del archivo para la impresión 3D. Imagen: cedida por el Dr. Fragola.

117 Gaceta Dental · N o 365 | Abril 2024 Rincón digital. TENDENCIAS

5. Fase final de posprocesamiento y fotocurado. Después de que se complete la impresión, se deja escurrir sobre la plataforma para que, por gravedad, elimine el excedente de resina no polimerizada y, posteriormente, se retira el objeto impreso de esta plataforma para proceder a lavado y fotocurado.

Parte fundamental de nuestro proceso de aprendizaje es comprender que, en ocasiones, no lograremos el resultado deseado de manera inmediata. La impresión 3D no es tan simple como diseñar un objeto, enviar el archivo a la impresora y obtener el modelo finalizado, como si fuera un documento de procesamiento de texto. A continuación, presentamos algunos de los problemas más comunes que podríamos enfrentar: adherencia deficiente a la plataforma debido a nivelación incorrecta o superficie sucia; deformación del modelo por enfriamiento desigual o velocidad de impresión alta; residuos no curados de resina o material de soporte, por configuraciones erróneas; superficies rugosas debido a resolución de capa inadecuada o contaminación; obstrucciones en boquillas por

«La impresión 3D no es tan simple como diseñar un objeto, enviar el archivo a la impresora y obtener el modelo finalizado»

residuos o suciedad, afectando el flujo de material; y errores de diseño o software que resultan en geometría incorrecta o problemas de soporte.

Por lo tanto, es crucial no descuidar el mantenimiento de estos dispositivos, así como el reemplazo de los elementos consumibles y el uso de resinas certificadas compatibles con nuestra impresora de alta calidad.

En conclusión, las impresoras 3D han revolucionado el campo de la Odontología, ofreciendo una amplia gama de posibilidades para la fabricación de dispositivos y prótesis dentales. Desde la creación de modelos hasta la producción de prótesis personalizadas y guías quirúrgicas precisas, estas tecnologías están transformando la manera en que se abordan los tratamientos dentales. Con una variedad de tecnologías de impresión y resinas específicas, las impresoras 3D están permitiendo una atención más precisa, eficiente y personalizada para los pacientes.

Es crucial seguir explorando e integrando estas innovaciones en la práctica clínica, manteniendo siempre un enfoque en la calidad, seguridad y mejora continua de los tratamientos dentales.

¡Bienvenidos a la era de la impresión digital! ●

118 Gaceta Dental · N o 365 | Abril 2024
Guía impresa preparada para el posprocesado. Imagen: cedida por el Dr. Giuliano Fragola.
digital
TENDENCIAS. Rincón

POWER steamer & STEAM tube

Soluciones innovadoras para la vaporización

Gran poder de limpieza

Presión constante

Visión despejada

Puesto de trabajo limpio

making work easy Descubra virtualmente: www.renfert.com/power-steamer

Marketing dental sin secretos

Hoy en día, la presencia online es fundamental para toda clínica dental que quiera destacar en un mercado competitivo. Por este motivo, es clave que las clínicas dentales aprovechen diversas estrategias de marketing digital para promocionar sus tratamientos de manera más amplia. Pero, ¿cómo diferenciarse del resto? ¿Cómo evitar incurrir en técnicas agresivas? ¿Cuáles son los desafíos éticos del marketing en el sector de la Odontología?

¿Cuáles son las tendencias en marketing digital?

«El marketing lo es todo. No obstante, siempre tendemos a hablar de marketing y a pensar, exclusivamente, en la publicidad, sobre todo digital. Sin embargo, el marketing se basa en las famosas cuatro P: Price, Product, Place y Promotion», destaca Álvaro Alonso, director de Desarrollo de Negocio de Dentalplay. Entonces, ¿cuáles serían las estrategias de marketing más

efectivas para atraer pacientes a una clínica dental? En opinión de Álvaro Alonso, «la reputación». Y es que, en palabras del experto, «aunque tú tengas un nivel de marketing brutal y atraigas a muchos pacientes a la clínica, al final, «la parte médica es la más importante y la que prevalece». Una opinión que comparte y aplica el Dr. Simón Pardiñas, odontólogo y divulgador científico en Dentalk. tv, en la Clínica Pardiñas: «Nosotros intentamos diferenciarnos por la

120
GDentalk Gaceta Dental · N o 365 | Abril 2024 GDENTALK. Marketing dental
121
Dental · N o 365 | Abril 2024 Marketing dental. GDENTALK
Freepik/ijeab. Gaceta
«Aunque tú tengas un nivel de marketing brutal y atraigas a muchos pacientes a la clínica, al final, la parte médica es la más importante y la que prevalece»
Álvaro Alonso

reputación; es decir, por un lado, tenemos en cuenta la experiencia y la calidad; y, por otro lado, intentamos demostrarlo a través del canal de

Dentalk, donde los pacientes pueden ver nuestros vídeos informativos. No intentamos vender nada, sino ofrecer información de tratamientos o consejos bucodentales».

«Eso el paciente lo valora mucho, ya que te ve como un referente de poder acceder a información seria y validada, con un soporte científico. No es dar tu opinión y ya está, como muchas veces veo por ahí», destaca el Dr. Pardiñas, quien añade: «Nosotros, además, intentamos huir de la venta o ese marketing directo de poner precios. Desde mi punto de vista, considero que el paciente debe ser evaluado en la clínica por un odontólogo, ver lo que tiene y luego, en base a eso, darle un presupuesto, pero no antes».

MARKETING AGRESIVO EN EL SECTOR

Y es precisamente aquí donde entra, en parte, el marketing agresivo del sector odontológico.

«A mí me parece un poco peligroso el tema de las primeras visitas gratuitas, por ejemplo. Me parece que resta valor. Cuando realizas un trabajo, tiene un valor y tiene un coste, y si tú ofreces un producto adecuado a un precio adecuado, tienes que cobrarlo. El regalar cosas en tema de sanidad me parece que es algo que no procede», cuenta, por su parte, Álvaro Alonso.

Otra pieza que juega un papel fundamental dentro del marketing agresivo del sector es la televisión. «Yo, por ejemplo, que también divulgo en televisión, he notado que la gente se cree todo lo que sale en la pequeña pantalla. Dicen que, si sale en la tele, tiene que ser bueno; y no, hay veces que esto no es así».

Un aspecto con el que coindice Álvaro Alonso: «Esto es como quien

122
Álvaro Alonso, director de Desarrollo de Negocio de Dentalplay.
Gaceta Dental · N o 365 | Abril 2024
Marketing dental
GDENTALK.

dice que, si es caro, es que es bueno, y no tiene por qué. O si es barato, es que es malo».

Es importante, en este sentido, comenta el Dr. Pardiñas, «hacerle ver al paciente que esto no es así. Aunque es muy complicado, obviamente, porque estamos expuestos a muchos estímulos de marketing a día de hoy».

DESAFÍOS ÉTICOS DENTRO DEL MARKETING ODONTOLÓGICO

Para Álvaro Alonso, las expectativas y la publicidad engañosa tienen mucho que ver dentro de estos desafíos.

«Yo tengo una experiencia personal en este sentido. Trabajaba para una empresa con una tecnología revolucionaria desde el punto de vista quirúrgico que permitía al dentista reducir el tiempo de la intervención, de dos horas a 45 minutos. Pues en Estados Unidos le explicamos este procedimiento a un profesional y, aunque en un primer momento se mostró interesado, finalmente me dijo que no, señalando: «Yo tengo que pagar esta clínica y necesito facturar dos horas de cirugía con cada paciente. Con la técnica que yo utilizo, las facturo; sin embargo, con la técnica que tú me estás diciendo, no puedo facturar dos horas». Claro, cuando llegas a este punto piensas que cada uno puede hacer lo que quiera en su clínica, pero me parece que no es ético».

No obstante, añade Álvaro Alonso, «otra cosa sería que no quisieras ese tratamiento porque no lo conoces o no eres capaz de hacerlo, y piensas que puedes causar un problema al paciente».

«Luego están, también, las clínicas que tienen un objetivo de ventas. Yo he visto, no en España,

EL MARKETING DENTAL, EN GDENTALK

El tratamiento del marketing en Odontología fue, precisamente, uno de los últimos temas tocados en el podcast de GDentalk.

En este episodio, Patricia Merino, redactora de Gaceta Dental, y el Dr. Simón Pardiñas, se sentaron a charlar con Álvaro Alonso sobre marketing dental, un aspecto crucial y cada vez más importante para los profesionales de la Odontología.

Y es que, a través de diferentes estrategias, la función principal del marketing es promover los servicios dentales de una clínica, atraer nuevos pacientes y fortalecer la relación con los pacientes existentes, entre otras muchas cosas.

¡Accede a este QR para no perderte el episodio sobre el marketing en Odontología!

123
Gaceta Dental · N o 365 | Abril 2024
dental. GDENTALK
El Dr. Simón Pardiñas, Patricia Merino y Álvaro Alonso.
Marketing

sino en Canadá, un grupo de clínicas que tenían un software de gestión alucinante que medía todos

«El paciente valora mucho la divulgación, ya que te ve como un referente de poder acceder a información seria y validada, con un soporte científico»

Dr. Simón Pardiñas

los parámetros y en el que ibas viendo el contador de los distintos procedimientos que iban entrando y los objetivos. Ese contador es el porcentaje, sí, pero es que detrás de esos procedimientos hay personas y, al final, el mayor éxito de una clínica yo creo que es la confianza que depositas en el dentista», subraya Álvaro Alonso.

Entonces, ¿cómo promover estas prácticas de manera efectiva sin caer en tácticas agresivas?

«Yo tiraría por la divulgación, por llegar a la gente desde la parte educativa, desde la parte informativa; que conozcan cuáles son las enfermedades más frecuentes o explicarles en qué consiste el tratamiento que se van a tener que realizar. En definitiva, hacer que los pacientes vayan con confianza a la clínica dental», cuenta el Dr. Pardiñas.

Y, hoy por hoy, ¿cuáles son las tendencias en marketing digital? Para Álvaro Alonso, «yo creo que la principal tendencia es tener en cuenta el contenido de paciente, pero también las pantallas. Igualmente, el tema de la inteligencia artificial es otra gran tendencia, aunque a mí personalmente me sorprende que estamos pasando de hablar de cómo las clínicas pueden subirse al carro de la inteligencia artificial y entrar en ese mundo 4.0, cuando algunas todavía no han pasado por el 2.0». Asimismo, Álvaro Alonso destaca la importancia del posicionamiento SEO: «Si yo quiero hacer una estrategia de marketing o una campaña de marketing digital, necesito que el posicionamiento de mi página web sea el adecuado, y ese posicionamiento se genera con contenido, y el contenido de calidad lleva mucho trabajo». ●

124
Gaceta Dental · N o 365 | Abril 2024 GDENTALK. Marketing dental
El Dr. Simón Pardiñas, odontólogo y divulgador científico en Dentalk.tv.

19 Sep · Madrid

27 Edición

¡La gran esta de la Odontología!

¡Consulta

¡Envía tu candidatura y elige el camino de la excelencia!

Plazo de recepción: 30 de junio

Organiza: Impulsa:

las bases!

UNOS GALARDONES PARA TODOS LOS PERFILES DEL SECTOR DENTAL

¡Ya está abierta la convocatoria de la

27ª edición de los Premios GD!

Profesionales, estudiantes, emprendedores, empresas y organizaciones…. Atentos porque ¡vuelven los galardones por excelencia del sector odontológico! Una oportunidad única para que vuestro esfuerzo y trabajo se vean recompensados. ¡Participad! El plazo está abierto hasta el 30 de junio.

El objetivo de estos galardones es reconocer el trabajo y dedicación de los profesionales, estudiantes y organizaciones vinculadas con el sector odontológico.

De este modo, los 27 Premios Gaceta Dental se dividen en 4 bloques: Profesionales, Estudiantes, Innovación y Gestión y Sociedad y Cultura.

PREMIOS GD PROFESIONALES

-Premio GD Mejor Artículo Científico, patrocinado por IPG Dental, reconoce el mejor artículo científico publicado en la revista GD entre septiembre de 2023 y junio/julio de 2024, en la web (www.gacetadental.com) en este mismo periodo, los trabajos aprobados para su publicación en print o en web en ese mismo periodo y aquellos que se reciban expresamente para participar en esta convocatoria.

-Premio GD Mejor Caso Clínico, patrocinado por Ivoclar, destaca el mejor caso clínico publicado en la revista GD entre septiembre de 2023 y junio/julio de 2024, en la web (www.gacetadental.com) en este mismo periodo, los trabajos aprobados para su publicación en print o en web en ese mismo periodo y aquellos que se reciban expresamente para participar en esta convocatoria.

126 PREMIOS GD
Gaceta Dental · N o 365 | Abril 2024
«La gala de entrega de premios será el 19 de septiembre en la Real Fábrica de Tapices de Madrid»

PREMIOS GD ESTUDIANTES

-Premio GD Mejor Talento en Odontología. Reconoce el mejor trabajo de los estudiantes de 5 º Odontología matriculados en universidades españolas.

-Premio GD Talento en Prótesis Dental. Se premia el mejor trabajo de los alumnos matriculados en las escuelas de Prótesis españolas.

-Premio GD Mejor Talento en Higiene Dental . Con el patrocinio de Instituto IDEOD, esta categoría reconoce el mejor trabajo de los alumnos de Higiene Bucodental.

PREMIOS GD INNOVACIÓN Y GESTIÓN

-Premio GD Mejor Clínica o Laboratorio Digital. Con el patrocinio de Aragoneses CPD, distingue a los clínicos y técnicos que hayan incorporado la digitalización a su práctica diaria para mejorar sus procesos de trabajo.

-Premio GD Mejor Avance Tecnológico para reconocer el trabajo de las starts-ups con actividad en el sector dental o de grupos de investigación, vinculados a la universidad, con proyectos estratégicos de I+D+i en el ámbito odontológico.

-Premio GD Mejor Gestión Clínica. Ensalza la apuesta de las clínicas dentales por implantar acciones relativas a la gestión, el marketing y, en definitiva, una atención excelente, orientada a proporcionar la mejor experiencia a sus pacientes.

-Premio GD Mejor Trabajo en Comunicación y Marketing. Elogia el trabajo de las clínicas que cuidan su presencia en los canales digitales.

PREMIOS GD SOCIEDAD Y CULTURA

-Premio GD Proyecto Solidario. Distingue el trabajo que realizan las ONGs en el terreno bucodental, tanto en España como en el extranjero.

-Premio GD Mejor Relato Corto. El fin de este premio es valorar la creatividad literaria con la Odontología como protagonista.

-Premio GD Mejor Libro del Año. Este premio, impulsado por la Tienda GD, reconoce el conocimiento y progreso en el ámbito odontológico. Las candidaturas serán seleccionadas entre las novedades editoriales lanzadas en la Tienda GD entre 2020-2024.

NOS VAMOS A LA REAL FÁBRICA DE TAPICES

La fecha elegida para la celebración de la gala de los Premios Gaceta Dental es el 19 de septiembre y será en un entorno único y cargado de historia: la Real Fábrica de Tapices de Madrid. Profesionales, estudiantes, emprendedores, directores de clínicas y laboratorios y representantes de empresas se unirán a esta convocatoria para celebrar uno de los eventos más destacados del sector, además de fortalecer sus relaciones profesionales.

CON EL APOYO DE MARCAS LÍDERES

El respaldo de las empresas del sector es fundamental para alcanzar el éxito año tras año. En esta edición, ya contamos con el patrocinio global del Grupo Catalano Clínicas, y el apoyo de los patrocinadores IPG Dental, Ivoclar, Instituto IDEOD y Aragoneses, además de la colaboración de más de 35 empresas. Pero, ¡esto solo es el principio! ¿Quieres ser uno de los protagonistas de la 27a edición de los Premios Gaceta Dental? ¡Envía tu candidatura a redaccion@gacetadental.com antes del 30 de junio! ●

¡NO PIERDAS DETALLE DE LA CONVOCATORIA!

Consulta nuestra web y nuestras redes sociales para estar al día de los 27 Premios GD.

127 PREMIOS GD
Gaceta Dental · N o 365 | Abril 2024

FRUTO DE LA ALIANZA DE LA FUNDACIÓN SEPA CON KEY-STONE

Nace el primer Observatorio de Salud

Periodontal y Bucal

“Esta entidad permitará elaborar una ‘Estrategia de Promoción de Salud Periodontal’ en la que colaborarán destacados expertos”, explica el Dr. José Nart, presidente de SEPA.

El anuncio se produjo durante la presentación del primer informe que se deriva de la iniciativa «OmniVision Salus», un proyecto «ómnibus» (investigación repetida y multicliente) promovido por Key-Stone y destinado a investigar cuestiones relacionadas con las actitudes, el comportamiento y la salud en el ámbito dental. En el mismo, se revela que prácticamente la mitad de los adultos que viven en España han experimentado la pérdida total o parcial de, al menos, una pieza dental y, casi uno de cada dos españoles que se declaran edéntulos aún no ha resuelto esta afección con una solución protésica; sin embargo, la mayoría de ellos se muestran interesados en reemplazar las piezas perdidas.

Estas conclusiones se derivan de un análisis sobre la falta de dientes en la boca de los españoles, a través de una encuesta realizada a más de 3.000 adultos, con edades comprendidas entre los 20 y los 79 años. El trabajo, liderado por Key-Stone, instituto de investigación de mercados especializado en salud, evidencia que casi la mitad de la muestra encuestada (44%) declaró que le faltaban uno o más dientes naturales (una media de 6,1, sin incluir las muelas del juicio) y que, por tanto, eran edéntulos o habían pasado por un estado de edentulismo parcial o total (solucionándolo gracias a una rehabilitación protésica).

Tratando de profundizar en la intención o no de resolver este problema, «se ha documentado

Datos del edentulismo en España. Gráfico: Key-Stone.

que casi uno de cada dos españoles que se declaran edéntulos aún no ha resuelto su afección con una solución protésica», resalta Roberto Rosso, fundador y presidente de KeyStone. Esto significa que al 23% de la población adulta le faltan dientes en estos momentos, lo que corresponde a casi 10 millones de españoles adultos (si se extrapola la muestra sobre el universo de referencia); de ellos, la mitad de los encuestados con problemas de edentulismo actualmente se declaran dispuestos a resolver el problema sustituyendo los dientes que le faltan, mientras que la otra mitad dice no estar interesada o, con mayor frecuencia, no tener disponibilidad económica para resolver el problema con una solución protésica.

Para el presidente de la Sociedad Española de Periodoncia y Osteointegración (SEPA), el Dr. José Nart, no cabe duda que «la prevención es la principal estrategia para evitar el inicio y la progresión de las enfermedades periodontales, las cuales, si no son tratadas adecuadamente, provocan pérdida ósea y movilidad progresiva, hasta la caída de los dientes». ●

Más info: www.gacetadental.com

128 Gaceta Dental · N o 365 | Abril 2024 NOTICIAS DE ACTUALIDAD

LA COMPAÑÍA CELEBRÓ SU 15O ANIVERSARIO La formación e innovación, claves de IPG Dental en Expodental

Una edición más, IPG Dental estuvo presente en Expodental con un stand principal en el que se mostraron todas las novedades e innovaciones en Endodoncia, magnificación y estética dental. También hubo un espacio destacado para la formación, en el que profesionales del sector dental ofrecieron una experiencia formativa de calidad a todos los asistentes.

En el espacio de IPG Dental, que celebró en la feria su 15o aniversario, la innovación fue la protagonista, donde la marca española Zarc presentó BlueShaper PRO®, su sistema de instrumentación más reciente, junto a la tecnología DualWire®, desarrollada también por Zarc.

«Víttrea, pionera en la tecnología Ergo, brilló con su espacio dedicado a la magnificación en el que los asistentes tuvieron la oportunidad

de probar lupas y sistemas de iluminación con un trato 100% personalizado. Además, los visitantes pudieron probar los microscopios Flexion de la marca alemana CJ-Optik», destacan desde IPG Dental.

Por su parte, Kiyomi Dental presentó su nuevo blanqueamiento dental casero K-Bleach 16%, a base de peróxido de carbamida. Además, Kiyomi Dental completó la cartera de productos con la introducción de K-Desens 5%, el nuevo gel de baja viscosidad compuesto por nitrato de potasio, que alivia la hipersensibilidad dental con el objetivo de que los odontólogos puedan ofrecer una solución integral a sus pacientes.

Otro de los espacios destacados del stand principal de IPG Dental fue la sala de formación en la que se impartieron 17 cursos con una tasa de asistencia del 100% de más de 200 profesionales. En este sentido, los Dres. Luis Baroni, Ana Ramírez, Ana Alvarado, Laura Sierra, José Aranguren, Rafael Cisneros, Jon Eskurza, Alfredo Natera, Carlos Peón, Carlos Ibáñez, Alberto Sierra y Juan Algar fueron los encargados de impartir formación sobre Endodoncia y Odontología estética.

EL NACIMIENTO DE IPG ACADEMY

Por otro lado, «IPG Dental contó con un segundo espacio en el que presentó su nuevo proyecto, IPG Academy, reafirmándose en su compromiso con la formación», cuentan desde la compañía. «Esta nueva división del grupo IPG Dental mostró durante Expodental todas las novedades formativas del 2024 para estar siempre al día de las últimas técnicas en Endodoncia, magnificación y estética dental, de la mano de reconocidos ponentes nacionales e internacionales, así como su extenso programa de colaboraciones con prestigiosos centros de formación», añaden. ●

129 NOTICIA DE EMPRESA
Gaceta Dental · N o 365 | Abril 2024
El equipo de IPG Dental durante la celebración de Expodental. Imagen: cedida por IPG Dental.

LA SEOP celebra sus 50 años de vida

Con una jornada científica, en el Hospital Gregorio Marañón, y un cóctel en el Casino de Madrid, la Sociedad Española de Odontopediatría celebró, el pasado 24 de febrero, su primer medio siglo de historia.

El salón de actos del madrileño Hospital Gregorio Marañón sirvió de marco a la celebración del curso «Últimos avances en adhesión. Trucos para una excelente estética en dientes permanentes jóvenes», que impartió el Dr. Alessandro Dourado Loguercio. Así arrancaba, el pasado 24 de febrero, la jornada de conmemoración de los 50 años de la Sociedad Española de Odontopediatría (SEOP).

Tras tres horas de interesante aprendizaje de la mano del prestigioso clínico brasileño, la presidenta de SEOP, la Dra. Asunción Mendoza, tomó las riendas del acto para hacer un emotivo recorrido histórico por los principales hitos de la organización que preside, desde sus orígenes.

«La trayectoria de la SEOP destaca por su compromiso con la excelencia incorporando las últimas técnicas y tecnologías en el tratamiento dental infantil. Esta búsqueda constante de la mejora ha colocado a nuestra Sociedad en la vanguardia de la Odontopediatría a nivel

nacional e internacional», destacó durante su intervención la Dra. Mendoza. «Mirando hacia el futuro -prosiguió- renovamos nuestro compromiso de seguir siendo pioneros en la Odontopediatría guiados por la misión de cuidar la salud dental de nuestros queridos niños».

En su presentación, la presidenta de SEOP también recalcó la labor que desde hace años están desarrollando para lograr el reconocimiento de la especialidad oficial de Odontopediatría, «un trabajo arduo, pero seguiremos firmes en nuestro empeño», destacó.

Finalizado el acto, los invitados se dieron cita en el Casino de Madrid para ya, en un ambiente más distendido, celebrar el tan especial cumpleaños. ●

130 NOTICIAS DE ACTUALIDAD
LÁSER GEMINI DESDE 5.990€ Solicite una demostración en su clínica ¡CONTÁCTENOS! Info@ultradent.es - WWW.ULTRADENT.ES LA EVOLUCIÓN EN ODONTOLOGÍA LÁSER NEW!
Foto de familia de los invitados al cumpleaños de SEOP. Foto: SEOP

ESPAÑA SE SITÚA EN EL GRUPO DE VANGUARDIA

Mariano Sanz, a la cabeza mundial en la producción científica en Odontología

El español lidera la lista mundial de autores con más artículos científicos relevantes en Odontología de la última década.

Mariano Sanz Alonso, catedrático de Periodoncia de la Universidad Complutense de Madrid, es el autor que acumula a nivel mundial un mayor número de artículos destacados en Odontología durante la última década. Así se desprende de un estudio publicado el pasado mes de febrero en la revista internacional «Clinical and Experimental Dental Research», que ha analizado cerca de medio millón de artículos.

Su liderazgo mundial lo comparte con Maurizio Tonetti, director del Centro de Innovación de Periodoncia e Implantes dentales de la Universidad de Shanghai.

El periodoncista español, Mariano Sanz, con 13 artículos calificados como destacados (4.298 citas), es el autor mundial que aporta una mayor contribución en esta categoría, mientras que el italiano Tonetti ha contribuido con 12 de estos

artículos, siendo el que ostenta el mayor número de citas de sus trabajos (5.684).

El mismo análisis indica que España se encuentra entre los países con mayor número de artículos, cooperación científica y número de citas, situándose en sexta posición (total link strength de 182), con Estados Unidos a la cabeza. ●

Lee la noticia completa en nuestra web.

131 NOTICIAS DE ACTUALIDAD NOVEDAD Solicite una demostración en su clínica ¡CONTÁCTENOS! Info@ultradent.es - WWW.ULTRADENT.ES Antes Después Restauraciones con una sola masa (un solo color) y sin necesidad de opaquer. Además del color Universal Body, el composite Transcend™ también incluye cuatro tonos de dentina y dos tonos de esmalte para los casos en los que una técnica de estratificación es apropiada. Restauraciones con JUST ONE SHADE COMPRA GARANTIZADA* * Para más información contacte con su Distribuidor 176,70€ (235,60 €) 3+1 gratis
El Dr. Sanz es patrono de honor de la Fundación SEPA, entidad que organizó una rueda de prensa para dar a conocer los datos. Foto: SEPA.

CON UN SERVICIO DE ÚLTIMA GENERACIÓN

Hexa3Dental incorpora tecnología

digital en todo el flujo de trabajo

Con un enfoque revolucionario a través de un laboratorio 100% digital, Hexa3Dental brinda a sus clientes un servicio moderno, preciso y de última generación.

Para ofrecer resultados con una calidad excepcional, desde la compañía han adoptado, por completo, la tecnología digital en todo su flujo de trabajo, además de brindar a sus clientes los materiales más biocompatibles para ellos. «Es por esto mismo que, a día de hoy, somos un laboratorio libre de metal. Desde el diseño hasta la fabricación, la precisión y eficiencia son fundamentales para dar un buen servicio», destacan desde Hexa3Dental.

Por este motivo, desde la entidad trabajan con algunas plataformas de escáneres intraorales como Medit Link, Itero, 3Shape o Dentsply Sirona, «facilitando la colaboración con clínicas que utilizan esta tecnología avanzada,

ya que la integración perfecta garantiza una comunicación fluida y resultados precisos».

Además, «utilizando el software Exocad, nuestros diseñadores realizan diseños 3D de la más alta calidad. La precisión y versatilidad de esta plataforma permite personalizar cada prótesis según las necesidades únicas de cada paciente, convirtiéndolo en el software por excelencia cuando hablamos de CAD», añaden.

FRESADO DE ÚLTIMA GENERACIÓN

Por otra parte, las máquinas fresadoras Roland de 5 ejes de Hexa3Dental aseguran un fresado preciso y eficiente, que contribuye a la producción de prótesis dentales con detalles excepcionales y un ajuste perfecto.

«Somos el único centro de fresado que utiliza una fresa de 0,3 milímetros de diámetro en las zonas oclusales para fresar los surcos con el mejor detalle posible. Posteriormente, de forma manual, hacemos uso de una fresa de fisura en vestibular de las estructuras para individualizar bien todos los puentes monolíticos. Esto es un protocolo interno nuestro, ya que la calidad para nosotros es el objetivo número uno», explican. Una calidad que no solo se refleja en la funcionalidad, sino también en la estética, ya que las piezas de Hexa3Dental se terminan con meticulosidad para garantizar unos buenos resultados visuales ●

MÁS INFORMACIÓN

132 Gaceta Dental · N o 365 | Abril 2024 NOTICIA DE EMPRESA

CON CRECIMIENTOS DEL 15% EN OFERTA EXPOSITIVA

Expodental cierra su edición de 2024 con la visita de 30.000 profesionales

El certamen contó con la participación directa de 375 empresas. Imagen: cedida por Ifema.

Expodental 2024 echó el telón con el apoyo unánime de toda la industria y la profesión dental. 30.000 visitantes, un incremento del 15% en oferta expositiva y un 50% más de presencia internacional en relación con la pasada edición avalan el éxito del certamen.

Esta cita, organizada por IFEMA MADRID en colaboración con la Federación Española de Empresas de Tecnología Sanitaria (Fenin),

conseguió, con creces, su objetivo. En palabras de Ana Rodríguez, directora de Expodental: «El sector ha hablado y su respuesta es lo más importante para nosotros. La confianza depositada en Expodental por cada una de las compañías participantes y de cada uno de los visitantes a la cita reafirma el liderazgo internacional de Expodental una vez más».

Una afirmación a la que se sumó Luis M. Garralda, presidente del Sector Dental de Fenin, quien añadió: «Estamos muy contentos del éxito de Expodental 2024, que ha superado las expectativas con un notable aumento de visitantes. Ha sido una edición extraordinaria llena de innovación y tecnología».

STANDS, PERO TAMBIÉN SPEAKER’S CORNER

Uno de los grandes atractivos de Expodental fue el contenido ofrecido a los asistentes a través de 40 ponencias y charlas profesionales, las cuales tuvieron una gran repercusión y contabilizaron una gran afluencia de profesionales para conocer las novedades y técnicas que se presentaron durante los tres días de feria.

El Speaker’s Corner organizado por Gaceta Dental, que, como no podía ser de otra manera, también estuvo presente en Expodental en la zona expositiva, contó con el Dr. Simón Pardiñas, miembro del Consejo de Innovación & Excelencia de Gaceta Dental y creador de Dentalk!, y Adrián Beloki, director de Estrategia de Contenidos de Peldaño Media Group, quienes unieron sus conocimientos y experiencia en la ponencia «Cómo divulgar hacia pacientes y dentistas sin morir en el intento».

ALIANZAS E INICIATIVAS

Pero además de un espacio comercial y de conocimiento, Expodental se antoja como el escenario perfecto para hacer networking y

134 NOTICIAS DE ACTUALIDAD
Gaceta Dental · N o 365 | Abril 2024
El Speaker’s Corner organizado por Gaceta Dental, con el Dr. SImón Pardiñas y Adrián Beloki. Imagen: Gaceta Dental.

Más de 23.000 artículos increíblemente baratos

Productos 3MTM TransbondTM con las mejores condiciones:

82 € 99

El Dr. Eduardo Anitua, fundador de BTI Biotechnology Institute; y el Dr. Óscar Castro. Imagen: cedida por el Consejo General de Dentistas.

estrechar lazos. Así, durante la celebración del certamen, la Fundación Tecnología y Salud y la Fundación Dental Española (FDE), entidad vinculada al Consejo General de Dentistas de España, firmaron un acuerdo con el propósito de impulsar el conocimiento y concienciar sobre la importancia de la tecnología sanitaria en la salud bucodental.

Pablo Crespo, secretario general de Fenin y secretario del Patronato de la Fundación Tecnología y Salud, manifestó que «esta alianza representa un paso significativo hacia adelante en nuestro compromiso compartido de promover la salud bucal y el bienestar a través de la innovación tecnológica. Apoyar campañas de divulgación dirigidas a la población es esencial para concienciar sobre la importancia de cuidar la salud bucodental

Pídalo hoy mismo directamente a

La Súper tienda de ortodoncia
00
más IVA ® Ortho Depot
NOTICIAS DE ACTUALIDAD
www.orthodepot.es
Pablo Crespo, secretario general de Fenin y secretario del Patronato de la Fundación Tecnología y Salud; y el Dr. Óscar Castro, presidente del Consejo General de Dentistas y la FDE. Imagen: cedida por Fenin.

UN SECTOR EN AUGE

El éxito de Expodental reafirma, aún más, los datos del último informe del sector dental, realizado por Fenin. Y es que, el mercado de la Odontología alcanzó una facturación de 1.100 millones de euros a cierre de 2023, lo que supone un incremento del 11,4% respecto a los niveles prepandemia.

Los resultados más positivos han sido en los segmentos de consumo para laboratorio y en elaboraciones CAD/CAM, con un incremento de un 6,6% en ambos casos. Por el contrario, los segmentos de aparatología y grandes equipos disminuyen ligeramente, ya que sus incrementos suelen coincidir con los años en los que tiene lugar la feria.

con información accesible y comprensible sobre hábitos saludables, prevención de enfermedades dentales y la importancia de visitar regularmente al dentista».

Por su parte, el Dr. Óscar Castro, presidente del Consejo General de Dentistas y la FDE, comentó: «Es indiscutible que la tecnología sanitaria constituye un pilar fundamental en la evolución de la atención dental, y sentar las bases para una estrecha colaboración entre los profesionales y la industria es primordial»

También, la FDE y BTI Biotechnology Institute formalizaron una alianza con el objetivo de impulsar la formación continuada en el campo de la Odontología en España. A través de esta alianza, la FDE facilitará el uso de la infraestructura colegial y plataforma de formación para que la formación específica ofrecida por BTI sea accesible al máximo número de profesionales. La FDE también concederá su sello de calidad a los cursos promovidos por BTI y brindará apoyo en la organización de un evento destacado sobre Odontología regenerativa en Madrid.

El Dr. Luis Giner, presidente de la Conferencia de Decanos y Responsables Académicos de las Facultades y Escuelas de Odontología de España; y la Dra. Clara Serna. Imagen: GD.

Por otra parte, en Expodental, el Consejo de Dentistas y la Fundación Dental Española convocaron a los medios para presentar sus acciones con motivo del Día Mundial de la Salud Bucodental (celebrado el 20 de marzo).

Se proyectó el nuevo vídeo «Boca sana toda la vida», cuyo objetivo es concienciar a la población sobre la importancia de cuidar la salud oral desde la infancia hasta la madurez. «El vídeo se subirá al canal de YouTube del Consejo y cualquier clínica odontológica podrá descargarlo y utilizarlo en sus instalaciones o subirlo a redes sociales», explicó el Dr. Castro.

Asimismo, se presentó la segunda edición del Concurso de Fotos #YoVoyAlDentista, con la finalidad de fomentar las revisiones odontológicas y transmitir una imagen de cercanía y confianza entre el paciente y el dentista. El plazo para participar finaliza el 20 de abril y las bases de la convocatoria están disponibles en la web del Consejo.

JORNADA ACADÉMICA DE FACULTADES ESPAÑOLAS DE ODONTOLOGÍA

Expodental 2024 no se olvidó de los profesionales del futuro. Además de celebrarse el jueves 14, el «Día del Estudiante», acogió, por primera vez, la Jornada Académica de Facultades Españolas de Odontología.

Estas sesiones representaron una plataforma idónea en la que alumnos de másteres y postgrados de las Facultades de Odontología españolas compartieron los últimos avances clínicos e investigativos en diversos ámbitos de la Odontología. ●

NOTICIAS DE ACTUALIDAD
Gaceta Dental · N o 365 | Abril 2024 136

ENTRE LOS LANZAMIENTOS: EL NUEVO ESCÁNER ITERO LUMINA™

Align Technology presenta en Expodental 2024 sus últimas novedades

Con el objetivo de ayudar a los profesionales a conseguir los resultados clínicos esperados y ofrecer opciones dentales eficaces a sus pacientes, Align Technology presentó, entre sus novedades, el nuevo escáner iTero Lumina™.

Yaiza García, directora de Marketing de Align Technology Iberia; Juan Manuel Frade, director general de Align Technology para España y Portugal; Zelko Relic, vicepresidente ejecutivo y director de Tecnología de Align Technology; y Karim Boussebaa, vicepresidente ejecutivo y director gerente de iTero fueron los encargados de presentar las principales novedades de la compañía a los medios de comunicación congregados en Expodental.

De entre todas ellas, hubo un claro protagonista: el nuevo escáner intraoral iTero Lumina™. «Desarrollado con la tecnología iTero Multi-Direct Capture, que reemplaza

la tecnología de escaneo conofocal de los modelos anteriores, el escáner iTero Lumina™ tiene un campo de visión más amplio y cámaras multi-angulares que, en un solo movimiento ininterrumpido, capturan imágenes desde diversos ángulos simultáneamente, por lo que las exploraciones son más ágiles, rápidas y precisas», explican desde Align Technology. Asimismo, destacan, «tiene una profundidad de escaneo mayor, de hasta 25 mm, lo que permite escanear con más facilidad zonas complejas de la boca, como paladares estrechos o profundos, espacios edéntulos y dientes parcialmente erupcionados, sin tener apenas que maniobrar».

Por otro lado, también «es más ergonómico y más cómodo y genera una mejor experiencia de paciente». Para comprobarlo in situ, el Dr. Ramón Mompell -quien también impartió dos charlas en la zona de Speaker’s Cornerhizo una demostración de un escaneo en boca, destacando de la nueva herramienta, especialmente, su tamaño, su velocidad de captación, su precisión y su sencillez. ●

137 NOTICIA DE EMPRESA
Gaceta Dental · N o 365 | Abril 2024
Juan Manuel Frade, director general de Align Technology para España y Portugal, en el encuentro con los medios de comunicación en Expodental 2024; donde también el Dr. Ramón Mompell mostró el funcionamiento del nuevo escáner intraoral iTero Lumina™

SU DISCURSÓ SE CENTRÓ EN LAS SUPERFICIES DE IMPLANTES

El Dr. Javier Gil Mur ingresa en la Academia de Ciencias Odontológicas

El nuevo académico de número ingresó en la organización, presidida por el Dr. Antonio Bascones a mediados de febrero.

El catedrático Javier Gil Mur inició su discurso agradeciendo su elección como académico, destacando el «honor y responsabilidad» que supone este nombramiento, además del «impulso para seguir trabajando con ilusión para merecerlo».

Asimismo, quiso hacer especial mención al Dr. Antonio Bascones, presidente de la Academia de Ciencias Odontológicas de España, así como al Dr. Juan José Segura, vicepresidente, y al Dr. Eugenio Velasco, este último «por su amistad, compromiso, fuerza y apoyo para formar parte de esta ilustre Academia».

También, en el terreno de agradecimientos, el Dr. Gil Mur fue desgranando sus pasos profesionales, académicos y colegiales, teniendo un especial recuerdo para cada uno de los compañeros y amigos que le han acompañado en las diferentes etapas de su carrera profesional. Tampoco quiso olvidarse de sus alumnos y, por supuesto, de su familia; en especial, de su esposa, María Pau, y sus hijos, «por su apoyo incondicional a lo largo de mi vida profesional y personal».

AVANCES EN IMPLANTOLOGÍA

Tras los agradecimientos, el Dr. Gil Mur pronunció su discurso de ingreso «Avances en superficies de implantes dentales: mitos, leyendas y evidencias científicas», abordando temas como la osteointegración de las implantes dentales, las superficies rugosas, los métodos de modificación de superficies de implantes o los aspectos relevantes en el tratamiento de superficies

para implantes dentales. En este último capítulo, el prestigioso catedrático, gracias a su investigación, respondió a interrogantes que les surgen a los profesionales en su práctica clínica: ¿Los restos de alúmina en la superficie del titanio son perjudiciales?, ¿es adecuado realizar el shot blasting con óxido de titanio?, ¿contribuyen las tensiones residuales superficiales a la osteointegración?, ¿tiene alguna influencia el ataque ácido después del tratamiento de shot blasting? o ¿qué consideraciones desde la tecnología de materiales se pueden hacer a los implantes dentales híbridos?

El encargado de responder a su discurso fue el Dr. Eugenio Velasco Ortega, quien desgranó el brillante currículum del nuevo académico, señalando «el respeto y el reconocimiento» que el Dr. Gil Mur tiene por parte de la Odontología española e internacional. ●

NOTICIAS DE ACTUALIDAD
Gaceta Dental · N o 365 | Abril 2024 138
El Dr. Javier Gil Mur con los académicos que participaron en su ceremonia de ingreso. Imagen: Dr. Gil Mur.

CON UN MANEJO MUCHO MÁS SENCILLO

Bego Iberia presenta en Expodental 2024 su nuevo material híbrido

De izda. a dcha.; Manuela Binotti, consultora de Comunicación de Gaceta Dental; Gema Bonache, directora de Gaceta Dental; y Silvia Albiac, general manager de Bego Iberia.

Con el objetivo de seguir ofreciendo la mayor calidad posible en sus productos, Bego Iberia presentó en Expodental 2024 una de sus últimas novedades: el material híbrido con carga cerámica VarseoSmile® TriniQ®.

Este innovador material, que se alinea con el lema de la compañía, One for all, «demuestra de forma eficiente cómo un solo material puede cubrir una amplia gama de aplicaciones en la restauración dental», explican desde Bego.

En este sentido, una ventaja significativa de VarseoSmile® TriniQ® que pudieron comprobar los asistentes al certamen, es su manejo aún más sencillo. Y es que, «gracias a la innovadora composición de VarseoSmile® TriniQ®, ahora se elimina el paso del arenado. Esto simplifica enormemente todo el proceso de producción

y permite a odontólogos y técnicos dentales producir restauraciones de alta calidad de forma más eficiente y rápida», añaden desde Bego.

UN MATERIAL PARA MUCHAS APLICACIONES EN EL LABORATORIO Y LA CONSULTA

Las versátiles propiedades de VarseoSmile® TriniQ® lo convierten en un material excelente para una amplia gama de aplicaciones dentales y de tecnología dental.

Estas incluyen, apostillan desde Bego, «restauraciones permanentes, pues ofrece la posibilidad de realizar restauraciones duraderas de un solo diente, puentes de tres unidades, inlays, onlays, table-tops y carillas; restauraciones provisionales, ya que permite la impresión de puentes provisionales de hasta siete unidades, lo que aumenta la flexibilidad para odontólogos y protésicos dentales; y Denture Teeth, ya que su empleo en la fabricación de dientes de stock personalizados amplía el espectro de aplicación de VarseoSmile® TriniQ®, y pone de relieve su versatilidad como material dental».

Asimismo, detallan desde la compañía, «su disponibilidad en 10 tonos VITA® establece nuevos estándares en la estética de las restauraciones dentales impresas en 3D » ●

«VarseoSmile® TriniQ® es un material excelente para una amplia gama de aplicaciones dentales y de tecnología dental»
139 NOTICIA DE EMPRESA
Gaceta Dental · N o 365 | Abril 2024

CONTÓ CON UN AMPLIO PANEL DE PONENTES El 17º Congreso de la SELO colgó en Zamora el cartel de completo

De izda. a dcha.; el Dr. Víctor Zurita, la Dra. María J. Pérez, el Dr. Jesús García-Cruces Méndez, el Dr. Miguel Pavao y Francisco Somoza. Imagen: cedida por la Dra. Pérez/Interbenavente.

El decimoséptimo Congreso de la Sociedad Española de Láser y Fototerapia en Odontología (SELO) coincidió con la celebración de la II Reunión Ibérica con la Ordem dos Médicos Dentistas y la XI Reunión de Higienistas y Auxiliares.

El congreso se inauguró con la presencia de Javier García-Cruces Méndez, viceconsejero de Asistencia Sanitaria de la Junta de Castilla y León, que presidió la mesa; Miguel Pavao, presidente de la Ordem dos Médicos de Portugal; Víctor Zurita, presidente del Consejo de Dentistas Inter autonómico de Castilla y León; Francisco Somoza, arquitecto, dueño y rehabilitador de la Sede del Congreso; y María J. Pérez-Rodríguez, presidenta de la SELO y presidenta del Comité Organizador del Congreso.

El evento, que colgó el cartel de aforo completo, contó con la asistencia de 120 profesionales, 17 ponentes, 28 auxiliares e higienistas, 20 asistentes por parte de la

industria de las principales casas distribuidoras de láser en España y Portugal, y acompañantes, que supusieron una convocatoria de cerca de 200 personas en este congreso SELO. «Ha sido un éxito a nivel de asistencia, un éxito a nivel científico y, también, en cuanto a las relaciones personales en la parte social», destaca la Dra. María J. Pérez Rodríguez, presidenta de SELO.

DOS TALLERES «HANDS-ON»

En la mañana del viernes 23 tuvieron lugar las actividades precongreso, con el «Curso de capacitación básico de láser» impartido por el Dr. Josep Arnabat, el Dr. Antoni España y la Dra. María Pérez. También, y por primera vez, se realizaron dos talleres «Hands-on»; uno de frenectomías, dictado por la Dra. Marina de Lima Barbosa; y otro sobre «Nightlase y DAM: excelente combinación en el tratamiento del ronquido y apnea (AOS)», cuyos ponentes fueron la Dra. Marcela Bisheimer y el Dr. Pedro Mayoral.

UN AMPLIO PANEL DE PONENTES

El primer día del congreso participaron en la parte científica como ponentes los Dres. José Manuel Aguirre, Joao Braga, José María Malfaz y Antoni España.

El segundo día tuvo lugar la XI Reunión de Higienistas y Auxiliares, con los Dres. Daniel Abad y Jordi Gargallo al mando, poniendo el punto final a la reunión la Sra. Ana Andrés.

Por su parte, en la sala de exposición comercial también se expusieron pósteres científicos, y durante la comida en Expo-SELO se entregó el Premio al Mejor Póster a la Dra. Marta Bruguier.

Ese mismo día impartieron ponencias los Dres. Apoorva Gupta, Pilar Martín, Santiago Fernández, Dionisio Cortés, Jesús Creagh, Gonzalo López-Castro y Miguel Stanley. ●

NOTICIAS DE ACTUALIDAD
Gaceta Dental · N o 365 | Abril 2024 140

SEPES liderará el Consensus

internacional de restauraciones

cerámicas de mínima invasión

Del 14 al 16 de noviembre en la facultad de Odontología de la Universidad Complutense de Madrid bajo la dirección conjunta de los profesores Alexis Ioannidis, Jörg Strub y Guillermo Pradíes.

La Sociedad Suiza de Odontología Reconstructiva SSRD, la Fundación Suiza para el Estudio de los Materiales Protésicos PROSEC y la Fundación SEPES han unido competencias y recursos para que este evento científico culmine en un Consensus que le sea de utilidad

al clínico en los casos de restauraciones cerámicas con mínima preparación.

Un equipo internacional con una veintena de clínicos, investigadores y docentes de las más reconocidas universidades de Europa, todos ellos del campo de la Prostodoncia y la Estética, se reunirán para generar una serie de revisiones sistemáticas que serán la base del posterior documento de consenso. El objetivo de esta reunión es debatir y determinar las mejores prácticas, basadas en evidencias clínicas y científicas, que permitan comprender mejor las actuales técnicas de restauración mínimamente invasivas realizadas con cerámicas y materiales no metálicos. ●

NOTICIAS DE ACTUALIDAD

CON UNA SEDE CENTRAL EN ALCÁZAR DE SAN JUAN Catalano Clínicas Odontológicas, referente formativo en Castilla-La Mancha

Con la solidez de más de 40 clínicas en funcionamiento en Castilla-La Mancha, Catalano Clínicas Odontológicas presentó en Expodental 2024 su modelo de gestión y su visión 360º, más allá de la Odontología.

«Nuestra misión en Expodental es mostrar nuestro proyecto a la gente que se dedica en cuerpo y alma a la práctica odontológica. Quiero que sepan que no soy una franquicia, sino que soy un dentista que ha soñado con tener algo bonito, crecer y seguir abriendo clínicas», subrayó Gustavo Catalano, CEO de Catalano Clínicas Odontológicas, quien estuvo acompañado por Jesús Fernández, consejero de Sanidad de Castilla-La Mancha; Alberto Jara Sánchez, director gerente del SESCAM; Luis Ruiz Molina, secretario general del SESCAM; Íñigo Cortázar Neira, director general de Recursos Humanos y Transformación del SESCAM;

Inmaculada Gutiérrez Ramírez, secretaria general de la Consejería de Sanidad; Cayetano Fuentes Organero, director general de Salud Digital; M a Paz Rodas Mora, jefa de Gabinete del Consejero de Sanidad; y M a Caridad Pavón Benito, jefa de Gabinete del Director Gerente del SESCAM.

Durante los tres días del certamen, los asistentes a Expodental pudieron conocer, de primera mano, uno de los grandes proyectos de Catalano Clínicas Odontológicas: Catalano Kids, la primera clínica 100% infantil en CastillaLa Mancha, con una atención 360 o en Pediatría, Logopedia, Fisioterapia, Otorrinolaringología y Odontología.

«No es una clínica como la que estamos acostumbrados a ver, sino que vamos a tener profesionales médicos, pediatras, logopedas y fisioterapeutas para tratar la ATM. Además, también quiero trabajar todo el sistema orofaríngeo por completo, tanto en la parte médica como en la parte dental. También quiero tratar la actitud del niño para crear en él una conciencia preventiva, al igual que en los padres, ya que realmente es lo que necesitamos en este país: quitar el miedo a los niños y que vayan a un lugar que sea como un espacio de juego, donde terminen trabajando con nuestros profesionales en una relación amistosa», añadió el CEO de Catalano Clínicas Odontológicas, Gustavo Catalano. Asimismo, quisó destacar su sede central en Alcázar de San Juan, que sobresale, especialmente, por ser referente formativo

«No queremos formar a la gente solo en Odontología, sino que queremos trabajar la multidisciplinariedad»
142 Gaceta Dental · N o 365 | Abril 2024
NOTICIA DE EMPRESA
Gustavo Catalano, CEO de Catalano Clínicas Odontológicas; y Jesús Fernández, consejero de Sanidad de Castilla-La Mancha. Imagen: cedida por Xavi Gómez.

sanitario en la zona, tanto de profesionales propios como externos.

Sobre este último, Gustavo Catalano explicó que «se trata de un centro de formación permanente donde destaca la superación del personal. Siempre digo que no tenemos que olvidarnos de que hacemos dientes y que nuestro fin es devolver la sonrisa y la funcionalidad. Para ello, tenemos que ser profesionales, y eso no conlleva solo tener un título. Necesitamos formarnos permanentemente. Por eso hemos creado nuestra propia escuela de formación, donde no solo estamos formando permanentemente a nuestro personal, sino que también estamos formando a profesionales que vienen del entorno».

Nuestra formación, además, «está totalmente dirigida a los 360 o grados. Es decir, no queremos formar a la gente solo en Odontología, sino que queremos trabajar la multidisciplinariedad. Esto es lo que hace que el tratamiento termine siendo casi perfecto», añadió Gustavo Catalano.

LA INNOVACIÓN Y LA TECNOLOGÍA, CLAVES

Pero además de la formación de sus profesionales, la innovación y la tecnología juegan un papel clave dentro de Catalano Clínicas Odontológicas. «La innovación en Catalano es permanente y el nivel de digitalización, sublime. ¿Por qué? Porque en realidad, teniendo en cuenta el número de clínicas, somos una de las empresas más digitalizadas del país. En este sentido, ferias como Expodental son importantes porque los profesionales pueden elegir con qué materiales o con qué nuevos productos les gustaría desarrollar su profesión. De hecho, hemos dado días libres a todos los profesionales que forman parte de Catalano Clínicas Odontológicas para que pudieran venir a la feria y ver qué les interesa», detalló Gustavo Catalano.

En este sentido, la colaboración con firmas como Straumann Group se vuelve fundamental. «Más que proveedores, queremos ser socios y estar siempre presentes. Identificamos las necesidades que un grupo como Catalano Clínicas Odontológicas necesita. Tenemos equipos especializados exactamente para este tipo de

Durante los tres días de certamen, el stand de Catalano Clínicas Odontológicas ofreció distintas charlas profesionales. En la imagen, la Dra. Patricia Domínguez hablando sobre carillas de disilicato. Imagen: cedida por Xavi Gómez.

«La innovación en Catalano es permanente y el nivel de digitalización, sublime»

emprendedores, porque sabemos a la velocidad a la que quieren crecer», contó Antonio Moutinho, Hub Manager Iberia de Straumann Group.

UN GRAN EMPUJE PARA CASTILLA-LA MANCHA

Las más de 40 clínicas por toda Castilla-La Mancha han supuesto un gran avance para la comunidad autónoma. Y es que, como apostilló el consejero de Sanidad, Jesús Fernández, «supone una seguridad para la salud bucodental. Nosotros, como sanidad pública, tenemos cubierta una gran parte de la sanidad bucodental, pero hay otra parte que no está dentro del sistema público, por lo que personas o grupos profesionales como Catalano nos hacen mucho bien para la salud bucodental».

Además, el consejero destacó el empleo que crea Catalano Clínicas Odontológicas para la región: «Esta implantación ha traído consigo empleo y formación, sin olvidarnos del importante impulso para el desarrollo de la promoción y la prevención». ●

143 Gaceta Dental · N o 365 | Abril 2024
NOTICIA DE EMPRESA

CONGREGÓ EN VALENCIA A MÁS DE 1.300 PARTICIPANTES

5º Congreso EAS: «Superando los límites de la ortodoncia con alineadores»

El congreso de la EAS contó con la participación de 39 ponentes de distintos países europeos y algunos de Estados Unidos, Corea y Japón. Imagen: cedida por la EAS.

La 5ª edición del Congreso de la European Aligner Society (EAS), celebrada en Valencia del 29 de febrero al 2 de marzo, atrajo a más de 1.300 participantes de 69 países, una cifra que, según destacan desde la organización, confirma el creciente interés por la ortodoncia con alineadores. Precisamente, el congreso tuvo como lema «Superando los límites de la ortodoncia con alineadores» y contó con la participación de 39 ponentes de distintos países europeos y algunos de Estados Unidos, Corea y Japón.

El presidente de la EAS, el Dr. José Gandía, y la presidenta científica del congreso, la Dra. Gina Theodoridis, pronunciaron el discurso de apertura del evento. En este sentido, la Dra. Theodoridis explicó que «la EAS está comprometida con el conocimiento y la práctica de la ortodoncia con alineadores para conseguir una mayor calidad de atención y resultados de tratamiento exitosos».

La sesión plenaria del primer día versó sobre «El siguiente nivel de la ortodoncia con alineadores» y «Pacientes en crecimiento y tratamiento temprano» y contó con la participación del Dr. Chris Laspos, quien abordó el tema de la ortodoncia con alineadores del futuro. Por su parte, sobre la biomecánica en el tratamiento con alineadores, habló el Dr. Tommaso Castroflorio; y sobre la integración de la impresión interna de alineadores utilizando polímeros con memoria de forma, el Dr. Ki Beom Kim. Por otro lado, el Dr. David Raickovic se encargó de hablar sobre los alineadores para jóvenes.

Los temas del segundo día se centraron en «Auxiliares y anclaje esquelético» y «Alineadores, Periodoncia y cirugía», de la mano de los Dres. Ilya Lipkin y Skander Ellouze.

PREMIAR LA EXCELENCIA

El Consejo Europeo de Ortodoncia con Alineadores (EBAO) de EAS reconoció a tres miembros honorarios por sus destacadas contribuciones: los Dres. Juan Carlos Rivero Lesmes, Nikhilesh Vaid y Leslie Joffe.

Por segundo año, el Premio a la Excelencia Clínica de la EBAO se otorgó a 18 médicos que aprobaron el examen requerido. El certificado al mejor caso lo recibió la Dra. Claudia Pinter, y el primer premio del concurso de carteles fue para los Dres. Shizuka Funahashi, Kinji Amano e Hisao Murakami.

EL FLUJO DE TRABAJO, ENTRE LOS TEMAS

El congreso organizó una sesión de equipo donde las presentaciones se centraron en la colaboración, la dinámica del equipo, las comunicaciones y la optimización del flujo de trabajo de la práctica. Contó con Jerko Božiković y los Dres. Iro Eleftheriadi, Andrea Bazzucchi y Rooz Khosravi. ●

NOTICIAS DE ACTUALIDAD
Gaceta Dental · N o 365 | Abril 2024 144

DENTRO DE LA COMUNIDAD DE MADRID

Las agresiones a sanitarios han aumentado un 58% en los últimos cuatro años

La Unión Interprofesional de la Comunidad de Madrid (UICM) ha presentado una radiografía del incremento en los últimos cuatro años de las agresiones a los sanitarios colegiados en la región.

Marisol Ucha, presidenta del Colegio Oficial de Odontólogos y Estomatólogos de la I Región, responsable de la Comisión de Sanidad y vocal de la Junta Directiva de UICM, fue la encargada de presentar una campaña de sensibilización para combatir las agresiones.

Junto a ella también estuvieron presentes: Mar Rocha, portavoz y tesorera del Colegio Oficial de Enfermería de Madrid; Rafael Ortega Gómez, vocal de Médicos de Atención Primaria del Colegio Oficial de Médicos de Madrid; Óscar López, vicepresidente 1 o del Colegio Oficial de Farmacéuticos de Madrid; y Timanfaya Hernández, vicedecana del Colegio Oficial de la Psicología de Madrid.

Según explicó Marisol Ucha, «las agresiones verbales y físicas hacia los profesionales sanitarios han aumentado un 58% en los últimos cuatro años. Por este motivo, consideramos que se trata de una cuestión de especial relevancia e interés cultural. En el caso de la Odontología, las agresiones se sitúan en un 58%, siendo verbales la mayoría de estas».

Por su parte, Rafael Ortega explicó que, en el caso de los médicos, «de los 51.197 colegiados, 70 denunciaron agresiones en el año 2023 y muchas de ellas no van a más porque se manejan directamente». Timanfaya Hernández añadió que «casi todas las agresiones vienen dadas, de alguna forma, por los tiempos de espera o los tipos de asistencia».

En Enfermería, Mar Rocha comentó que «se trata de una situación bastante grave. No solo en lo numérico, sino por las consecuencias que tienen las lesiones».

En el ámbito de la Farmacia, Óscar López manifestó que «la mayoría de las agresiones que se producen son verbales, como consecuencia de la negativa de dispensar un medicamento cuando este no está recetado». ●

TRATAMIENTOS PARA MAYORES, EN MARCHA

La Comunidad de Madrid ya ha comenzado a financiar los tratamientos de salud bucodental a mayores de 80 años, que incluyen prótesis dentales completas y atención de las caries que podrá beneficiar a 360.000 ciudadanos. La presidenta regional, Isabel Díaz Ayuso, para conocerlo de primera mano visitó a finales de febrero el centro de salud de La Marazuela (Las Rozas).

NOTICIAS DE ACTUALIDAD
Gaceta Dental · N o 365 | Abril 2024 145
La presidenta del COEM, la Dra. Marisol Ucha (en el centro de la imagen), fue la encargada de presentar una campaña de sensibilización contra las agresiones.

ASÍ LO MOSTRÓ A LOS 30.000 VISITANTES DE EXPODENTAL 2024

SprintRay, impresión 3D en Odontología con un flujo completo de trabajo

Tras siete años en el mercado y un flujo de trabajo completo tanto para clínicos como odontólogos, SprintRay presentó en Expodental 2024 unas novedades que pretenden revolucionar el mercado del sector.

Con un futuro odontológico 100% digital, uno de los objetivos de SprintRay es darle, precisamente, un valor añadido a este sector digital. «Nosotros no queremos solo vender los sistemas y desaparecer. Un odontólogo, un protésico o cualquier profesional de este sector necesita un acompañamiento, que puede hacerse de mil formas: con una buena instalación, con una buena puesta en marcha o con una buena formación a sus distribuidores. Estos últimos están preparados para hacer un

seguimiento. Si hay problemas, siempre estamos detrás», detalló en Expodental Alejandro García Galí, responsable de Iberia en SprintRay, quien mostró algunas de las novedades más destacadas para este año.

En este sentido, García Galí quiso destacar el Arch Kit, que «sirve para imprimir trabajos en la mitad del tiempo de lo que se estaba haciendo hasta ahora. Por ejemplo, las férulas de descarga se estaban imprimiendo, hasta el momento, en hora y media; sin embargo, en la actualidad, en 40 o 45 minutos están listas. La gran ventaja también es que ya salen casi con un prepulido, con lo que el trabajo final es mucho más sencillo».

También hizo especial mención a las dos nuevas resinas que la compañía acaba de lanzar al mercado. Por un lado, la OnX Tough 2 para prótesis híbridas fijas, que aprovecha la tecnología NanoFusion™ para establecer un nuevo estándar en el sector al ofrecer una durabilidad y una calidad visual excepcionales; y, por otro lado, la Ceramic Crown, con más de un 50% de cerámica inorgánica y radiopaca para una visibilidad clara en las radiografías, «con lo que la estética y la resistencia quedan mejoradas», explicó Alejandro García Galí.

«El principal valor que ofrece SprintRay a la Odontología es la seguridad porque estamos trabajando con un sistema de trabajo que engloba hardware, software y materiales»
146 Gaceta Dental · N o 365 | Abril 2024
NOTICIA DE EMPRESA
Alejandro García Galí, responsable de Iberia en SprintRay.

LOS VALORES DIFERENCIALES DE SPRINTRAY

Pero estos nuevos productos no serían lo mismo sin la seguridad que proporciona la compañía.

Y es que, tal y como manifestó Alejandro García Galí durante la feria, «el principal valor que ofrece SprintRay a la Odontología es la seguridad. ¿Por qué? Porque estamos trabajando con un sistema de trabajo que engloba hardware, software y materiales. De esta manera, con estos tres pilares podemos garantizar realmente la biocompatibilidad de los materiales, la tranquilidad de los odontólogos y los protésicos, y la seguridad de que los pacientes van a llevar un material en la boca completamente sano y que no les va a dar problemas».

«Esto es algo muy importante para nosotros y lo que realmente nos diferencia. Somos una empresa que nos dedicamos única y exclusivamente a la impresión 3D para Odontología y todos nuestros recursos van focalizados al bienestar final del paciente», añadió Alejandro García Galí.

Y es en esta impresión 3D donde SprintRay focaliza todos sus esfuerzos. «Imprimir es

«Nos dedicamos única y exclusivamente a la impresión 3D para Odontología y todos nuestros recursos van focalizados al bienestar final del paciente»

mucho más rentable que fresar. Es mucho más económico, y facilita y garantiza siempre que el producto natural, es decir, el final, sea biocompatible para el paciente. En este sentido, SprintRay es una empresa que lleva siete años en el mercado y empezó con dos modelos de resinas. A día de hoy tiene, a nivel global, como 40 o 50 resinas, con una evolución constante. Ahora ya podemos trabajar e imprimir férulas de descarga, modelos, guías quirúrgicas, bandejas de cementación indirecta, prótesis completas... En definitiva, podemos ofrecer un flujo de trabajo muy completo», detalló Alejandro García. ●

147 Gaceta Dental · N o 365 | Abril 2024
NOTICIA DE EMPRESA
El stand de SprintRay en Expodental 2024 fue el escenario de algunas charlas que despertaron gran interés entre los asistentes.

8.000 ASISTENTES, GRACIAS AL FORMATO HÍBRIDO E

INTERACTIVO

El abordaje multidisciplinar de la salud

bucal, eje del VII Simposio Dentaid-Sepa

En este encuentro, celebrado el pasado 16 de marzo en Madrid, se pusieron al día evidencias, tendencias y opiniones de una veintena de expertos sobre el abordaje de la salud bucal a lo largo de la vida.

Los profesionales de la Odontología ven esencial contar con la historia clínica del paciente para poder mejorar su salud bucal. Esta fue una de las conclusiones que se extrajeron de la séptima edición del Simposio Dentaid SEPA celebrado el sábado 16 de marzo en el auditorio Rafael del Pino de Madrid.

Cerca de 8.000 profesionales, in situ y desde casa, pudieron escuchar las palabras del presidente de SEPA, el Dr. José Nart, quien destacó que «la salud debe entenderse desde un punto de vista global y, por tanto, la atención a la salud bucal debe de estar contemplada como una necesidad, más aún cuando se conoce sobradamente su firme y estrecha relación con la calidad de vida».

Todas las sesiones de la jornada se estructuraron teniendo en cuenta diferentes fases de la vida y también resaltando momentos clave del desarrollo de los seres humanos donde la salud de la boca adquiere un especial protagonismo.

El responsable de Investigación y Desarrollo de Dentaid, Joan Gispert, destacó el papel de la investigación para diferenciar lo que es una boca sana de una boca con patología e identificar cómo se puede actuar desde la prevención para mejorar la salud bucal de las personas durante toda la vida. «Gracias a la investigación sabemos que lo que sucede en nuestra boca impacta en todo el organismo y que gracias a la prevención es posible evitar 9 de cada 10 problemas bucodentales en las personas», aseguró.

En el Simposio se contó con la participación, de forma telemática, de la ministra de Sanidad del Gobierno de España, Mónica García, quien detalló que «el Ministerio de Sanidad está trabajando en la puesta en marcha de una serie de medidas encaminadas a incorporar más prestaciones de salud bucodental como parte de la cartera de servicios del Sistema Nacional de Salud, con la finalidad de hacer más accesible a toda la población estos recursos, de forma equitativa e incentivando la detección y abordaje precoz de las enfermedades bucodentales». ●

NOTICIAS DE ACTUALIDAD
LEE LA NOTICIA COMPLETA AQUÍ Gaceta Dental · N o 365 | Abril 2024 148
Participantes del VII Simposio Dentaid-Sepa. Imagen: Sepa.

TEMAS DE LA REUNIÓN DE INVIERNO DE SECIB

La gestión y las tecnologías como factores de éxito en cirugía oral e Implantología

La Sociedad Española de Cirugía Bucal celebró en Sierra Nevada su VI Reunión de Invierno SECIB los días 1 y 2 de marzo, con la Sociedad Científica de Odontología Implantológica (SCOI) como sociedad invitada.

La gestión y las nuevas tecnologías como factores de éxito en cirugía bucal e Implantología fue el eje central de la cita, participando como ponentes los doctores David Gallego (Calidad experiencial del paciente en la cirugía bucal e implantológica) y Jordi Gargallo (Nuevas perspectivas de éxito para paciente y

profesional con flujo digital y nuevas tecnologías en Implantología).

Asimismo, las comunicaciones libres estimularon el intercambio de ideas y conocimientos entre los presentes: odontólogos de diferentes edades, estudiantes y directores de clínicas dentales que pudieron disfrutar de un ambiente muy distendido, combinando ciencia, actividad deportiva y camaradería, con el objetivo de fortalecer los vínculos profesionales y personales de los socios. ●

NOTICIAS DE ACTUALIDAD
Redefiniendo el arte dental Explore las unidades dentales Heka Heka Dental A/S Tel.: +45 43 32 09 90 heka-dental.es

ENTRE SANIDAD Y EL CONSEJO DE ODONTÓLOGOS

Renovación del Programa de Atención

Bucodental Infantil y Juvenil en Aragón

El consejero de Sanidad del Gobierno de Aragón, José Luis Bancalero, y el presidente del Colegio de Odontólogos y Estomatólogos de Aragón, Jaime Alfonso. Imagen: cedida por el Colegio de Aragón.

El consejero de Sanidad del Gobierno de Aragón, José Luis Bancalero Flores, y el presidente del Colegio Oficial de Odontólogos y Estomatólogos de Aragón, Jaime Alfonso Maza, han renovado el convenio de colaboración para que odontólogos o estomatólogos habilitados realicen la prestación de la atención dental infantil y juvenil a los menores de entre 6 y 14 años y hasta los 16 en los que sufren discapacidad.

Se da continuidad así al marco estable de colaboración entre el Departamento de Sanidad y el Colegio Oficial de Odontólogos y Estomatólogos de Aragón con este fin, para lo

que se dispone del denominado Programa de Atención Bucodental Infantil y Juvenil (PABIJ). El PABIJ ha permitido, en 2023, atender a 39.162 menores, el 34,1% de la población susceptible de beneficiarse de él, que asciende a 114.662.

El consejero de Sanidad, José Luis Bancalero, ha manifestado que la firma de este convenio refleja el interés del Gobierno de Aragón y del Departamento «en la salud de los aragoneses y en las acciones preventivas, así como la estrecha colaboración entre ambas instituciones».

Por su parte, el presidente del Colegio Oficial de Odontólogos y Estomatólogos de Aragón, Jaime Alfonso Maza, ha recalcado el carácter «preventivo» del programa y ha abogado por aumentar el número de niños que se atienden en consulta. En la actualidad ronda el 35% y debería pasar del 50%, haciendo hincapié en la importancia de la prevención con, al menos, una visita anual. El Dr. Jaime Alfonso ha hecho un llamamiento a las familias a participar de este programa ya que «una correcta higiene bucal y detectar las patologías asociadas de manera precoz mejora la salud en general y disminuye el riesgo de sufrir caries y otras patologías».

En 2024, hay 306 centros incluidos en este programa y 296 profesionales. En concreto, forman parte del programa tres profesionales del Hospital San Juan de Dios, 279 clínicas y 268 profesionales del sector privado y 26 unidades y 25 profesionales del Servicio Aragonés de Salud. ●

SI QUIERES ESTAR AL DÍA DE TODO LO QUE ACONTECE... ¡MÁS NOTICIAS DEL SECTOR EN NUESTRA WEB!
NOTICIAS DE ACTUALIDAD
Gaceta Dental · N o 365 | Abril 2024 150

EN UN ACTO CELEBRADO EN LA EMBAJADA DE MÉXICO EN ESPAÑA

El Dr. Luis Cuadrado, galardonado por su contribución a la Odontología moderna

La empresa de uniformes sanitarios Gallantdale reconoció la labor del director médico de I2 Implantología.

Rodedado de su familia, amigos y numerosos compañeros de profesión. Así recibió el pasado 7 de marzo en la Embajada de México en Madrid el galardón que le otorgó Gallantdale por su contribución a la Odontología moderna.

La empresa de uniformes sanitarios, originaria de México, presentó en el acto el movimiento «Inspirando sonrisas», que realiza «acciones sanitarias para comunidades de bajos recursos y donaciones de uniformes a estudiantes y futuros profesionales de la salud».

Así, durante el evento, se proyectó un vídeo con declaraciones de los doctores Luis Cuadrado, Rafael Piñeiro y Oriol y Jaume Llena, profesionales españoles que han participado en las actividades de «Inspirando sonrisas».

Tras ello, los directivos de Gallantdalle entregaron al Dr. Luis Cuadrado un premio por su contribución a la Odontología moderna.

el premio.

El director médico de I2 Implantología quiso destacar la profesionalidad y las iniciativas solidarias de la empresa que ofreció a los asistentes una fiesta de inspiración mexicana. ●

Protocolo Terapia 360

Protocolo Terapia 360

Desde Sanhigía y con la colaboración del Dr. Alberto Monje presentamos un protocolo de actuación que facilita y simplifica cómo afrontar cada situación clínica relacionada con la periimplantitis, ya sea en sus fases de prevención o de tratamiento.

Desde Sanhigía y con la colaboración del Dr. Alberto Monje presentamos un protocolo de actuación que facilita y simplifica cómo afrontar cada situación clínica relacionada con la periimplantitis, ya sea en sus fases de prevención o de tratamiento.

Ventajas de implantar la Terapia 360:

Ventajas de implantar la Terapia 360:

1.Mayor previsibilidad y predicción a la hora de abordar tu caso.

1.Mayor previsibilidad y predicción a la hora de abordar tu caso.

2.Toma de decisiones sobre tus casos con más seguridad y rapidez.

2.Toma de decisiones sobre tus casos con más seguridad y rapidez.

3.Mayor porcentaje de éxito en tus tratamientos.

3.Mayor porcentaje de éxito en tus tratamientos.

4.Mejora la satisfacción de tus pacientes y por ello su fidelización.

4.Mejora la satisfacción de tus pacientes y por ello su fidelización.

5.Por todo ello, aumenta el prestigio como profesional y el de tu clínica.

5.Por todo ello, aumenta el prestigio como profesional y el de tu clínica.

Protocolo

Protocolo

de Prevención & Tratamiento de la Periimplantitis.
de Prevención & Tratamiento de la Periimplantitis.

Dr. Alberto Monje

Terapia 360 incluye además del propio protocolo, formaciones presenciales, webinars, producto y mucho más.

Terapia 360 incluye además del propio protocolo, formaciones presenciales, webinars, producto y mucho más.

Escanea este código QR para obtener la información completa:

Escanea este código QR para obtener la información completa: Dr.

NOTICIAS DE ACTUALIDAD
PARA MÁS INFORMACIÓN: sanhigiamk@gmail.com sanhigia.com 639 87 79 63 @Sanhigia @sanhigia_yt
El Dr. Luis Cuadrado se mostró agradecido por
@dr. alberto_monje PARA MÁS INFORMACIÓN: sanhigiamk@gmail.com sanhigia.com 639 87 79 63 @Sanhigia @sanhigia_yt
@dr. alberto_monje 151
Alberto Monje

Gama de limas endodónticas Utopia de Henry Schein

Henry Schein Dental lanza Edge-One R UtopiaTM , la nueva línea de limas endodónticas NiTi de EdgeEndo®, uno de los mayores proveedores mundiales de limas rotatorias de NiTi. La nueva gama Edge-One R UtopiaTM consiste en un sistema preesterilizado de limado sencillo que incorpora el movimiento reciprocante inverso de limado sencillo más avanzado de EdgeEndo y ofrece una gran eficacia de corte.

https://www.henryschein.es/es-es/Global.aspx

Nueva gama de Ortodoncia de Osteógenos

Con productos de última generación, como distractores fabricados a medida y microtornillos de anclaje, Osteógenos ofrece soluciones precisas y estéticas para satisfacer las necesidades de los profesionales de la odontología. Dentro de esta gama, además, destacan los innovadores microtornillos Ancotek, que ofrecen una fijación excepcional gracias a su diseño preciso.

https://osteogenostiendaonline.com/

Adhese® Universal en VivaPen® de Ivoclar

Adhese Universal en el VivaPen® produce hasta cuatro veces más aplicaciones por ml de producto en comparación con los adhesivos en botella, lo que tiene sentido tanto desde el punto de vista económico como medioambiental y, por lo tanto, establece nuevos puntos de referencia en la industria dental. Un VivaPen® que contiene Adhese Universal puede utilizarse para colocar un número de 187 dientes individuales.

https://www.ivoclar.com/en_li/campaigns/start-yourefficiency-journey

Nueva Compact Surgical Box de Ticare

Entre los lanzamientos que presenta Ticare para 2024 destaca el set quirúrgico Compact. La versatilidad del set hace que se adapte al tipo de implante utilizado y, además, gracias a su formato compact, ocupa menos espacio. Todo el set quirúrgico es fácilmente desmontable para una mayor comodidad, y la llave de carraca se presenta desmontada para garantizar la limpieza y esterilización.

www.genetic.ticareimplants.com/tienda/

Catálogo anual de equipamientos 2024 de Ravagnani Dental Productos

Steam tube, box de vaporización inteligente de Renfert

Como box de vaporización inteligente, Steam tube garantiza un lugar de trabajo limpio. Al limpiar los objetos de trabajo con vapor, el box, gracias a su diseño innovador, captura las impurezas y las partículas de suciedad sueltas. De este modo, los residuos procedentes de la vaporización del objeto ya no se esparcen sin rumbo en las proximidades de la vaporeta. Además, Steam tube no solo protege las piezas pequeñas más delicadas, sino que también mejora la visión del objeto que se está trabajando gracias a la evacuación controlada del vapor.

https://www.renfert.com/es-es/

Una amplia y diversa gama de equipamientos: unidades dentales, taburetes, piezas de mano, aire y aspiración, esterilización, Implantología y profilaxis. Distribuyen por toda España y en cada comunidad autónoma disponen de sus propios servicios técnicos y distribuidores de confianza con la finalidad de realizar un buen trabajo, rápido y eficaz.

https://www.ravagnanidental-portugal.com/index. php?site_lingua=es

152 Gaceta Dental · N o 365 | Abril 2024 PRODUCTOS

Dispositivo de profilaxis de B.A. International de Henry Schein

El compacto Ultimate UC500L cubre una amplia gama de indicaciones gracias a la combinación de raspador ultrasónico para la eliminación del sarro y limpieza por chorro de polvo. En la práctica diaria, el dispositivo se caracteriza por el sencillo manejo a través de la pantalla táctil, la flexibilidad en cuanto al suministro de agua y limpieza automática en solo 30 segundos.

https://www.henryschein.es/es-es/DentalClinica/ Default.aspx?did=DentalClinica

Hexa3Dental, laboratorio 100% digital

Con más de 15 años de experiencia, Hexa3Dental ofrece una calidad excepcional y atención personalizada basada en la confianza a clínicas de toda Europa. Utilizan materiales de última generación y las mejores marcas, respaldados por los diseños CAD más avanzados del sector.

www.hexa3dental.com

Klinikare lanza nuevos servicios basados en IA

Karisma RH Collagen de Osteógenos

Este producto marca una nueva era en la industria al ser una de las últimas novedades en productos inyectables y en mesoterapia del tercio inferior facial, gracias a características como: el aumento de la producción de procolágeno C en los fibroplastos y el procolágeno de origen natural y sostenible.

https://osteogenostiendaonline.com/

VarseoSmile Crown plus de BEGO Iberia

El material VarseoSmile Crown plus se utiliza para la impresión 3D de restauraciones permanentes como coronas individuales, inlays, onlays y carillas en el área frontal y lateral, incluidas las superficies oclusales. Su uso está contraindicado en caso de alergias conocidas a uno o más ingredientes. Los parámetros de presión y procesamiento especialmente desarrollados para la resina garantizan un ajuste preciso y resultados altamente reproducibles en todo momento.

https://iberia.bego.com/index.

php?id=4324&L=600%29%29%29%20AND%20 6953%3D6953%16

Henry Schein anuncia la ampliación de Criterion®

Klinikare ha lanzado el revolucionario

Asistente de Recepción con inteligencia artificial, que ofrece la posibilidad de realizar más de 15 tareas de recepción distintas y asegurar el contacto con el paciente durante las 24 horas del día, los 7 días de la semana. Esta solución tecnológica permite gestión de citas, cambios, reagendación e información sobre tratamientos o pagos pendientes, detecta lenguaje negativo del paciente y alerta sobre la necesidad de atención al paciente.

https://www.klinikare.com/todo-sobre-klinikare/

Henry Schein ha anunciado la ampliación de la línea de productos Criterion®, que ahora incluirá una línea completa de equipos de protección individual (EPI), incluyendo guantes, gafas de protección y cubre zapatos, así como otros productos en el futuro. Desde que Criterion® se estableció en 2003 en Estados Unidos, la marca no ha dejado de crecer, proporcionando a los profesionales sanitarios de todo el mundo una línea de guantes de alta calidad.

https://www.henryschein.es/es-es/DentalClinica/ Default.aspx?did=DentalClinica

153 Gaceta Dental · N o 365 | Abril 2024 PRODUCTOS

Implantología para el higienista dental. 6ª edición

Organiza: Colegio Profesional de Higienistas Dentales de Madrid.

Profesorado: Dr. Raúl Fernández García y Mar Romero Gómez.

Fecha y lugar: del 1 de abril de 2024 al 3 de junio de 2024. Formato online.

https://colegiohigienistasmadrid.org/masinfo.asp?idcurso=535

Protocolos de terminación para materiales CAD/CAM

Organiza: VITA.

Imparte: Bárbara Calero.

Fecha y lugar: 14 y 15 de junio de 2024 en Santiago de Compostela.

Teléfono e e-mail: 672 067 945 - R.miranda@vita-Zahnfabrik.com

https://www.vita-zahnfabrik.com/

Formación Exocad para clínicas dentales

Organiza: BEGO Iberia.

Imparte: Pere Colomina.

Fecha y lugar: consultar fechas para Madrid y Barcelona.

Teléfono e e-mail: 933 720 325 - begoiberia@bego.com

https://bego-iberia.mailchimpsites.com/

Máster en Dirección y Transformación de clínicas dentales

Organiza: Instituto de Desarrollo Odontológico Digital (IDEOD).

Dirigen: Sofía Solano, Pedro de Ahumada y Úrsula Barroso.

Fecha y lugar: de octubre de 2024 a junio de 2025. Doble convocatoria. Sevilla/Madrid.

Teléfono e e-mail: 659 862 391 - info@institutoideo.es www.institutoideod.es

Alineadores «in-house»: el siguiente paso en la digitalización de tu clínica

Organiza: Ortocervera - Instituto de Ortodoncia.

Imparten: Dres. Isabel Cervera, Alberto Cervera y Mónica Simón.

Fecha: comienza en septiembre de 2024.

Teléfono: 915 541 029

www.ortocervera.com

Curso modular de Ortodoncia avanzada

Organiza: Osteógenos.

Fecha y lugar: de mayo a noviembre de 2024 en Madrid.

Imparte: el Dr. Peri Colino.

Teléfono e e-mail: 696 962 892 - formacion@osteogenos.com wwww.osteogenos.com

154 AGENDA
Gaceta Dental · N o 365 | Abril 2024
Agenda

Curso de maquillaje 3D

Organiza: GC Ibérica Dental.

Imparte: Maximiliano Paterlini.

Fecha y lugar: 17 de mayo de 2024 en Madrid.

Teléfono e e-mail: 916 364 340 - formacion@spain.gceurope.com

https://europe.gc.dental/es-ES/education/courses

Aplicación clínica del avance mandibular para el tratamiento de la AOS

Organiza: Ortocervera - Instituto de Ortodoncia.

Imparte: Dra. Mónica Simón Pardell.

Fecha: libre elección de fecha de celebración.

Teléfono: 915 541 029

www.ortocervera.com

Curso modular de actualización en Ortodoncia para el higienista dental. 6ª edición

Organiza: Colegio Profesional de Higienistas Dentales de Madrid.

Profesorado: Dra. Belén González Cerrajero, Carmen Mª Corral Téllez, Elisa Carballido Ferreira, Lucía Barrio Escribano y Katherine Yvette Salinas León.

Fecha y lugar: 6 de abril de 2024 (primer módulo); 13 de abril del 2024 (segundo módulo) en Madrid.

https://colegiohigienistasmadrid.org/masinfo.asp?idcurso=508

Prótesis completas con Vitapan Excell & Lingform

Organiza: VITA.

Imparte: Dr José Mª Fonollosa.

Fecha y lugar: 18 y 29 de junio de 2024 en Oporto.

Teléfono e e-mail: +351 966 235 366 - l.pinela@vita-zahnfabrik.com

https://www.vita-zahnfabrik.com/

Curso de «Ortodoncia más allá de los límites»

Organiza: Osteógenos.

Imparte: Dra. Patricia Vergara.

Fecha y lugar: 12 de junio en Barcelona y 17 de octubre en Madrid.

Teléfono e e-mail: 696 962 892 - formacion@osteogenos.com

wwww.osteogenos.com

Curso de instrumentación quirúrgica

Organiza: Ticare en colaboración con varios colegios oficiales de odontólogos.

Fecha y lugar: 10 de abril de 2024 en Huelva.

https://www.ticareimplants.com/formacion/

155 AGENDA
Gaceta Dental · N o 365 | Abril 2024

Procedimientos y técnicas para realizar estudios de Ortodoncia

Organiza: Colegio Profesional de Higienistas Dentales de Madrid.

Profesorado: Jesús Rodríguez Perulero y Ramón D. Martín Díaz.

Fecha y lugar: 4 de mayo de 2024 en Madrid.

https://colegiohigienistasmadrid.org/masinfo.asp?idcurso=525

«Conceptos actuales en el tratamiento rápido de implantes, injertos óseos y manejo de tejidos blandos»

Organiza: Beide.

Imparte: Dr. Khoury.

Fecha y lugar: 24 y 25 de mayo de 2024 en Madrid.

https://bedentalexpert.com/cursos/conceptos-actuales-en-el-tratamiento-rapidocon-implantes-injertos-oseos-y-manejo-de-tejidos-blandos/

VITA Vionic Dent Disc y el arte gingival

Organiza: VITA/Dentival.

Imparte: Jorge Reyes.

Fecha y lugar: 14 y 15 de junio en Alboraia (Valencia).

Teléfonos: 963 911 597 - 687 953 389

https://www.vita-zahnfabrik.com/

Máster en Ortodoncia y Ortopedia Dentofacial

Organiza: Instituto de Desarrollo Odontológico Digital (IDEOD) - Universidad Antonio de Nebrija Formación (NFC). Dirige: Dr. Enrique Solano.

Fecha y lugar: 3 años a tiempo parcial. Inicio en septiembre de 2024. Sevilla.

Acreditaciones: 180 ECTS. Certificación Invisalign incluida.

Teléfono e e-mail: 659 862 391 - info@institutoideo.es

www.institutoideod.es

Título Experto Universitario en Endodoncia

Organiza: CEOdont.

Imparte: Dr. Juan Manuel Liñares Sixto.

Fechas: el primer módulo se celebrará en abril de 2024.

Consta de 5 módulos.

Teléfonos e e-mail: 915 530 880 - 680 33 83 17 - cursos@ceodont.com

www.ceodont.com

¿Te gustaría aprender o mejorar tu nivel de FOTOgrafía Dental?

Organiza: Fernando Rey FOTOgrafía Dental. Cursos personalizados grupales o individuales. Cursos tanto de nivel clínico como avanzado. Ofrecen diseño de presentaciones, conferencias y comunicaciones modernas, elegantes y dinámicas. www.fotografiadentalfr.com/

156 AGENDA
Gaceta Dental · N o 365 | Abril 2024

Anuncia tu curso, máster o postgrado en la guía que batió récords de audiencia en

Una herramienta clave para que odontólogos, higienistas y protésicos definan su futuro

gacetadental.com/formacion

Ayuda a los profesionales del sector a triunfar en su carrera CURSOS / POSTGRADOS / MÁSTERES
condiciones y contrata:
Consulta
2023
Impulsa: ANA SANTAMARÍA ana@gacetadental.com
234 766 MARTA PÉREZ
369 535 MANUELA BINOTTI mbinotti@gacetadental.com
587 681
648
marta@gacetadental.com 630
650

Curso «ITOP: Cómo cuidar tu boca saca sin agresiones»

Organiza: Colegio Profesional de Higienistas Dentales de Madrid.

Profesorado: Dra. Isabel Martínez Lizán y Dra. Beatriz Turégano Alarcón.

Fecha y lugar: 18 de mayo de 2024 en Madrid.

https://colegiohigienistasmadrid.org/masinfo.asp?idcurso=549

VITA Lumex AC Alta Estética Avanzada

Organiza: VITA.

Imparte: Ignasi Rosello.

Fecha y lugar: 24 y 25 de mayo de 2024 en Manresa (Barcelona).

Teléfono e e-mail: 678 774 481 - p.hurtado@vita-zahnfabrik.com

https://www.vita-zahnfabrik.com/

Diploma de Experto en Odontopediatría Clínica

Organiza: Instituto de Desarrollo Odontológico Digital (IDEOD) - Universidad Antonio de Nebrija Formación (NFC).

Dirige: Dra. Asunción Mendoza.

Acreditaciones: 20 ECTS.

Fecha y lugar: 9 meses a tiempo parcial. Inicio en septiembre de 2024. Sevilla.

Teléfono e e-mail: 659 862 391 - info@institutoideo.es

www.institutoideod.es

Programa modular médico-quirúrgico

Organiza: Doceo Dental Executive Education.

Imparten: Profesores Darcio Fonseca, Miguel Murúa, Andrés Blanco, Ángel MartínezSahuquillo, Isabel Gallardo, Pablo Gutiérrez, Pedro Lázaro y Emilio Rodríguez.

Fecha y lugar: 19 y 20 de abril, 24 y 25 de mayo, y 7 y 8 de junio de 2024 en Madrid.

Teléfono e e-mail: 681 273 415 - secretaria@doceodental.com

www.doceodental.com

Oferta formativa AEDE

Organiza: Asociación Española de Endodoncia (AEDE).

Fecha y lugar: 17 de mayo de 2024 (Simposio), 18 de mayo de 2024 (AEDE - SIE Campus) y 8 de junio de 2024 (Curso de Microcirugía Apical AEDE).

https://www.aede.info/

Curso de alineadores

Organiza: Ortocervera - Instituto de Ortodoncia.

Imparten: Dra. Isabel Cervera, Dr. Alberto Cervera y Dra. Mónica Simón.

Fechas: 13, 14 y 16 de junio de 2024 (primer módulo) y del 4 al 6 de julio de 2024 (segundo módulo).

Teléfono: 915 541 029

www.ortocervera.com

158 AGENDA Gaceta Dental · N o 365 | Abril 2024

Curso de alineadores para higienistas dentales

Organiza: Instituto de Desarrollo Odontológico Digital (IDEOD) - CEU Fundación San Pablo Andalucía.

Dirige: Dra. Beatriz Solano.

Acreditaciones: 4 ECTS.

Fecha y lugar: del 9 al 11 de mayo de 2024. Sevilla.

Teléfono e e-mail: 659 862 391 - info@institutoideo.es

www.institutoideod.es

Curso de armonización orofacial en el tercio facial inferior

Organiza: Osteógenos.

Imparte: Dra. Cristina Marín.

Fecha y lugar: 21 de junio de 2024 en Granada.

Teléfono e e-mail: 696 962 892 - formacion@osteogenos.com

wwww.osteogenos.com

Ciclo formativo patrocinado por Ticare

Organiza: Ticare.

Imparten: distintos profesionales y líderes de opinión del sector.

Fecha y lugar: durante todo el año por puntos de la geografía española. Consultar en la web.

www.ticareimplants.com/formacion

Odontología con un 5% de descuento
tu formación como dentista.
y devolución gratuita hasta 14 días.
AGENDA

Curso práctico de estratificación con composite

Organiza: GC Ibérica Dental.

Dictante: Dra. Simone Moretto.

Fecha y lugar: 30 y 31 de mayo de 2024 en Leuven (Bélgica).

Teléfono e e-mail: 916 364 340 - formacion.spain@gc.dental

https://europe.gc.dental/es-ES/education/courses

Curso de Periodoncia para higienistas dentales

Organiza: Instituto de Desarrollo Odontológico Digital (IDEOD) - CEU Fundación San Pablo Andalucía.

Dirigen: Dra. Patricia Solano, Dra. Estefanía Laguna y Dra. María Mínguez.

Acreditaciones: 5 ECTS.

Fecha y lugar: 22 y 23 de marzo, 26 y 27 de abril, 10 de mayo de 2024. Sevilla.

Teléfono e e-mail: 659 862 391 - info@institutoideo.es

www.institutoideod.es

Programa de prótesis sobre implantes. Flujo analógico y digital. 3ª edición

Organiza: Doceo Dental Executive Education.

Imparten: Profesores Ana Orozco, Pablo Domínguez y Miguel Murúa.

Fecha: 26 y 27 de abril de 2024.

Teléfono e e-mail: 681 273 415 - secretaria@doceodental.com

www.doceodental.com

SEDCYDO-SPDOF Sevilla 2024

Organiza: Sociedad Española de Disfunción Craneomandibular y Dolor Orofacial (SEDCYDO) y la Sociedade Portuguesa de Disfunção Temporomandibular e Dor Orofacial (SPDOF).

Presidenta: Dra. Rosana Cid.

Fecha y lugar: del 16 al 18 de mayo de 2024 en Sevilla. https://www.sedcydo.com/sevilla2024/

Curso de armonización orofacial y estética del tercio facial inferior

Organiza: Osteógenos.

Imparten: Dras. Carmen Martín y Mariví Álvarez.

Fecha y lugar: 7 y 8 de junio en Barcelona.

Teléfono e e-mail: 696 962 892 - formacion@osteogenos.com wwww.osteogenos.com

Curso «Manejo de la periimplantitis y sus secuelas»

Organiza: Ticare.

Imparten: Dres. Jerián González y Ramón Pons.

Fecha y lugar: 19 de abril de 2024 en Las Palmas de Gran Canaria www.ticareimplants.com/formacion

160 AGENDA Gaceta Dental · N o 365 | Abril 2024

Curso «Decisiones clínicas para la estabilidad tisular y manejo de volúmenes de tejidos»

Organiza: Ticare.

Imparten: Dra. Ana Orozco y Dr. Marcelo Clermont.

Fecha y lugar: 13 de abril de 2024 en Málaga. www.ticareimplants.com/formacion

Técnico de Ortodoncia para higienistas dentales

Organiza: Instituto de Desarrollo Odontológico Digital (IDEOD) - CEU Fundación San Pablo Andalucía.

Dirige: Dr. Enrique Solano.

Fecha y lugar: Comienza en noviembre de 2024 en Sevilla. 14 ECTS.

Teléfono e e-mail: 659 862 391 - info@institutoideo.es

www.institutoideod.es

Open Day de Osteógenos

Organiza: Osteógenos.

Imparte: Dr. Abdelsalam Elaskary.

Fecha y lugar: 29 de junio de 2024 en Madrid.

Teléfono e e-mail: 914 133 714 - info@osteogenos.com wwww.osteogenos.com

Experto en Ortodoncia Funcional, Aparatología Fija y Alineadores

Organiza: Ortocervera - Instituto de Ortodoncia.

Imparten: Dr. Alberto Cervera, Dra. Isabel Cervera y Dra. Mónica Simón.

Fecha: comienza el 26 de septiembre de 2024.

Teléfono: 915 541 029

www.ortocervera.com

XLV Reunión Anual SEOP

Organiza: Sociedad Española de Odontopediatría (SEOP).

Fecha y lugar: del 9 al 11 de mayo de 2024 en Girona. https://www.odontologiapediatrica.com/

Cursos de introducción al Método Bioclear

Organiza: Akura.

En el mundo actual de implantes y restauraciones, los composites directos pueden ofrecer una alternativa mínimamente invasiva convincente que satisfará las necesidades de los pacientes y superará sus expectativas. El Método Bioclear permite crear resultados predecibles, repetibles y naturales utilizando composite.

https://akura-medical.com/bioclear/

161 AGENDA
Gaceta Dental · N o 365 | Abril 2024

CALENDARIO DE CONGRESOS

Calendario de congresos

ABRIL 2024

SEKMO Barcelona del 11 al 13

MAYO 2024

SEOP Girona del 9 a l 11

SEGER Barcelona del 9 a l 11

SEDCYDO Sev illa del 1 6 al 18

SECOM CyC Sal amanca del 1 6 al 18

SEPA Bil bao del 29 al 1

JUNIO 2024

SEDO Gra n Canaria del 5 a l 8

SEPTIEMBRE 2024

SEI Vig o del 26 al 28

FDI Estambul del 1 2 al 15

OCTUBRE 2024

HIDES Ovi edo día s 4 y 5

SEPES Sev illa del 1 0 al 12

AEDE Sev illa del 31 al 2

NOVIEMBRE 2024

SECIB Girona del 14 al 16

SEOE Val encia día 1 6

SEMDES Barcelona del 21 al 23

162 Gaceta Dental · N o 365 | Abril 2024

Cementación de óxido de circonio fácil y económica.

ZirCAD ® Cement

- Fácil manejo y rápida limpieza con opción de polimerizado adhesivo.

- Resultados de cementación fiables caso tras caso

- Cementación rentable de la marca de primera calidad en la que confía

ivoclar.com

Making People Smile

HASTA EL 12 DE ABRIL DE 2024

Potencia sin precedentes

Nuevas Turbinas Neumáticas Ti-Max Z990L

Potencia 44W

Conexión NSK

MODELO Z990L

REF. PA2373

DESDE

Conexión KaVo® MULTIflex®

MODELO Z990KL

REF. PA2375

• Velocidad: 280.000-360.000 min -1

• Tamaño del Cabezal: ø12,1 x H 12,7 mm

• Cabezal en ángulo de 100° • Cuerpo de Titanio con DURAGRIP

• Resistente a arañazos • Rodamientos de Cerámica

• Óptica de Vidrio Celular • Portafresas Push Botton • Spray Quattro

• Sistema de Cabezal Limpio • Parada rápida • Microfiltro

• DYNAMIC POWER SYSTEM • DURAPOWER CHUCK

• Fácil cambio de cartucho

2 años de garantía

2

. Ofertas limitadas hasta el 12 de Abril de 2024 o hasta fin de existencias.

* Los precios no incluyen IVA

TURBINAS DEL MISMO MODELO Z990L Z990KL Z990L Z990KL + + 1.259€* 1.259€* 3.482€* 3.482€*
NSK Dental Spain S.A. www.nsk-spain.es C/ Rozabella, 8. Europa Empresarial Edificio Roma | Planta baja, Oficina A 28290 - Las Rozas de Madrid, España - tel: +34 91 626 61 28 · fax: +34 91 626 61 32 · e-mail: info@nsk-spain.es OFERTA 1+1
EL 1 HASTA EL 30 DE ABRIL DE 2024
Ofertas Especiales

Ofertas Especiales

Surgic Pro2 MICROMOTOR QUIRÚRGICO PARA IMPLANTOLOGÍA

MODELO Surgic Pro2

REF. Y1004195

El set completo incluye:

• Unidad de control Surgic Pro2 LED

• Pedal de control inalámbrico FC-81

• Micromotor SGL80M

• Contra-ángulo 20:1 X-SG20L

• Tubo de irrigación (pack de 3) y otros accesorios

MODELO Surgic Pro2

REF. Y1004196

El set completo incluye:

• Unidad de control Surgic Pro2

• Pedal de control inalámbrico FC-81

• Micromotor SG80M

• Contra-ángulo 20:1 SG20

• Tubo de irrigación (pack de 3) y otros accesorios

Escanee el código QR para más información

¡Síguenos! NSK Dental Spain NSK Dental Spain NSK Dental Spain
HASTA EL 12 DE ABRIL DE 2024
POTENCIA Hasta 80 Ncm
* Los precios no incluyen IVA . Ofertas limitadas hasta el 12 de Abril de 2024 o hasta fin de existencias. OPERABILIDAD • SEGURIDAD • CONECTIVIDAD OFERTA Surgic Pro2 LED Surgic Pro2 +++ +++ 3 X-SG20L 2.999 * €* 6.230€ 3.999 * €* 8.368€ ¡¡ OFERTA LIMITADA HASTA FIN DE EXISTENCIAS!! 3 CONTRA-ÁNGULOS DEL MISMO MODELO EN TOTAL 3 CONTRA-ÁNGULOS DEL MISMO MODELO EN TOTAL 3 SG20
comercial@radhex.es 900 350 450
@RADHEX_IMPLANTS/RADHEX-IMPLANTS

Turn static files into dynamic content formats.

Create a flipbook
Issuu converts static files into: digital portfolios, online yearbooks, online catalogs, digital photo albums and more. Sign up and create your flipbook.