Gaceta Dental - 368

Page 1


Núm. 368 Septiembre 2024 | 6,50€ gacetadental.com

Tratamiento clínico

Defectos mucogingivales en combinación con defectos óseos interproximales

Excelencia y vanguardia en el sector odontológico Fotografía presente y diagnóstico futuro

Protocolos

Motivos para tratar la cesación tabáquica en la consulta dental

Novedad editorial «Cirugía Oral y Odontología», una obra del Dr. Carlos García Fajardo

Núm. 368 Septiembre 2024 | 6,50€ gacetadental.com

Tratamiento clínico

Defectos mucogingivales en combinación con defectos óseos interproximales

Excelencia y vanguardia en el sector odontológico Fotografía presente y diagnóstico futuro

Protocolos

Motivos para tratar la cesación tabáquica en la consulta dental

Novedad editorial «Cirugía Oral y Odontología», una obra del Dr. Carlos García Fajardo

Núm. 368 Septiembre 2024 | 6,50€ gacetadental.com

Tiempo de retos

Este verano de olas de calor perpetuas me he quedado atónita con uno de los últimos de estos retos virales que no deja en muy buen lugar a la inteligencia humana. Pintarse los dientes con pintauñas blanco a modo de «blanqueamiento dental». No le he preguntado a mi querido Pepe Amengual, gran referente en la disciplina, qué opina de esto, aunque me puedo hacer una idea de su respuesta.

con fines estéticos. ¿No será mejor el Photoshop? Me pregunto. Para quedarse muertos.

Queridos amigos dentistas, como este tipo de retos y remedios caseros siga esta evolución, permitidme auguraros que nunca os faltará trabajo, ni a vosotros ni a otros profesionales sanitarios dedicados al cuidado de la mente.

Carta abierta

Tratamiento clínico

Defectos mucogingivales en combinación con defectos óseos interproximales

Excelencia y vanguardia en el sector odontológico Fotografía presente y diagnóstico futuro

Al hilo de esta última «moda», mis compis de profesión, en esta época de sequía, también informativa (con permiso de las Olimpiadas parisinas), han hecho diversos popurrís sobre los variados retos que ponen en peligro la salud bucodental de los cazadores de visualizaciones y me gustas. Desde el autolimado de dientes, el uso de gomas de pelo en la boca con el fin de juntar piezas dentales o el « bone smasking », una práctica que consiste en golpearse la cara con objetos contundentes -incluso con martilloscon el objetivo de romperse los huesos de los pómulos o mandíbulas para cambiar la estructura ósea

Yo, por el momento, puestos a elegir me quedo con los nuevos retos que nacen cada septiembre, y que nos llenan de ilusión y vértigo los meses venideros. Al menos hasta que llegan los turrones y nos marcamos los más ambiciosos de inicio de año.

Sea en un momento u otro, a través de los diferentes canales de Gaceta Dental, seguiremos con el firme propósito de generar contenido de interés para los profesionales del sector odontológico, pero también para los pacientes con el claro mensaje de que con la boca no se juega y que hay que dejar trabajar a los que saben.

Protocolos

Gema Bonache, directora de GD

Motivos para tratar la cesación tabáquica en la consulta dental Novedad editorial «Cirugía Oral y Odontología», una obra del Dr. Carlos García Fajardo

Índice de anunciantes

Tipos de férulas

Guía canina
Férula plana
canina

SUMARIO

Ciencia y clínica

–Tratamiento de defectos mucogingivales en combinación con defectos óseos interproximales mediante el uso de hueso particulado y láminas corticales desmineralizadas alogénicas, por el Dr. Erik Regidor y cols. [12]

–Tratamiento del tabaquismo en la consulta dental (I), por la Dra. Regina Izquierdo y cols. [32]

Informe

Flujo de trabajo preciso para la reproducción cerámica sin renunciar a nada, por Luis Miguel Vera. 64

Carta abierta

«Tiempo de retos», por Gema Bonache.

Digital al día

Descripción del sistema Di2gitalArch®️ 1.O y 2.O, por el Dr. Luis Cuadrado de Vicente.

Tratamiento subgingival

Tratamiento Ultrasónico Supragingival

Tratamiento Supragingival con Aeropulidor

Excelencia y vanguardia en el sector odontológico: fotografía presente y diagnóstico futuro.

Dr. José Nart Presidente de SEPA y catedrático de Periodoncia por UIC Barcelona. [68]

Noticias

Actualidad del sector

Qué leer. Dr. Carlos García Fajardo. Cirugía Oral y Odontología. Errores

–53 o Congreso Anual SEPES. [110]

–VII Congreso Nacional SEMDeS. [112]

–XXIX Congreso Anual de ACADEN. [116]

KIT KEXIM

SISTEMA DE EXTRACCIÓN DE IMPLANTES

LA SOLUCIÓN PARA EL RETRATAMIENTO IMPLANTOLÓGICO

POR

3 RAZONES:

1. KEXIM preserva al máximo el volumen óseo alveolar en las explantaciones (1)

2. KEXIM reduce el tiempo de espera y costes de segundas cirugías para el paciente.

3. KEXIM es compatible con más de 35 sistemas de implantes.

(1) Anitua E, Orive G. A new approach for atraumatic implant explantation and immediate implant installation. Oral Surg Oral Med Oral Pathol Oral Radiol. 2012 Mar;113(3):e19-25. doi: 10.1016/j.tripleo.2011.06.035.

BTI Biotechnology Institute

Tel: (+34) 945 140 024 | bti-biotechnologyinstitute.es

DESCUBRE MÁS RAZONES

EDITA

Peldaño

DIRECTORA

Gema Bonache gbonache@gacetadental.com

PUBLICIDAD

Ana Santamaría

Directora de ventas ana@gacetadental.com

Marta Pérez marta@gacetadental.com

Manuela Bino i mbinotti@gacetadental.com

JEFE DE PRODUCCIÓN

Miguel Fariñas

HEAD OF DESIGN

Juan Luis Cachadiña

COPYWRITER

Sandra Rodríguez srodriguez@gacetadental.com

REDACTORA

Patricia Merino pmerino@gacetadental.com

¡SÍGUENOS EN LAS REDES!

TIENDA GD

Francisco Soriano paco@gacetadental.com

Jorge Cacuango jorge@gacetadental.com

GACETADENTAL.COM

OFICINAS Y REDACCIÓN

Avda. Manzanares, 196 28026 Madrid 91 476 80 00

DISEÑO Y MAQUETACIÓN

Débora Martín Cristina Corchuelo

IMPRIME

Grafinter S. L.

Av. de Castilla, 14, 28830 Polígono de San Fernando de Henares, Madrid

CONSEJO DE INNOVACIÓN Y EXCELENCIA

SUSCRIPCIONES Y DISTRIBUCIÓN

Remedios García Laura López suscripciones@peldano.com 902 35 40 45

DEPÓSITO LEGAL

M.35.236-1989 ISSN 1135-2949

SUSCRIPCIÓN 1 AÑO

SUSCRIPCIÓN 2 AÑOS

Presidente: Ignacio Rojas · CEO: Lourdes Álvarez ·Director Financiero y de Talento: Daniel R. Villarraso

Director de Marca y Estrategia: Eneko Rojas · Director de Estrategia de Contenidos: Adrián Beloki

Directora de Estrategia Comercial: María Rojas · Directora de Marketing: Miriam Egea

Directora de Eventos: Yaiza Pascual

CIENCIA Y CLÍNICA: Dr. José Aranguren, Dra. Estefanía Laguna, Dr. Juan López-Quiles, Dra. Estefanía Moreno, Dr. Jesús Peláez Rico, Dr. Luis Segura-Mori · FORMACIÓN Y CONOCIMIENTO: Dr.Juan Carlos Vara, Dra. María José Muñoz, Dr. Simón Pardiñas · TECNOLOGÍA E INNOVACIÓN: Dr. Luis Cuadrado de Vicente, Dra. Irene García INTERNACIONAL: Dr. Joao Caramés, Dr. Cristian Abad

Los artículos científicos y clínicos que se publican en Gaceta Dental son supervisados por un grupo de expertos en las distintas ramas de la Odontología. Gaceta Dental no se identifica necesariamente con las opiniones expresadas libremente en sus páginas por los colaboradores.

Publicación autorizada por el Ministerio de Sanidad como soporte válido. Ref: S.V 89057 R. Premio aeepp a la mejor revista de 2008 | 1er Accesit al Mejor Editor, años 2004 y 2007 | Premio «Pro-Odontología» de la Sociedad Catalana de Odontología y Estomatología (scoe) 2009 | Premio «Fomento de la Salud» del Consejo General, 2005 | Premio del Colegio de Protésicos de la Comunidad de Madrid a la Trayectoria Profesional 2009 | Insignia de oro Colegial del COEM 2013.

AVISO LEGAL Y TRATAMIENTO DE DATOS

La opinión de los artículos publicados no es compartida necesariamente por la revista, y la responsabilidad de los mismos recae, exclusivamente, sobre sus autores. Cualquier forma de reproducción, distribución, comunicación pública o transformación de esta obra solo puede ser realizada con la autorización de sus titulares, salvo excepción prevista por la ley, y en el caso de hacer referencia a dicha fuente, deberá a tal fin ser mencionada GACETA DENTAL editada por Peldaño, en reconocimiento de los derechos regulados en la Ley de Propiedad Intelectual vigente, que como editor de la presente publicación impresa le asisten. Los archivos no deben modificarse de ninguna manera. Diríjase a CEDRO (Centro Español de Derechos Reprográficos) si necesita fotocopiar o escanear algún fragmento de esta obra (www.conlicencia.com / 917 021 970 / 932 720 445). De conformidad con lo dispuesto en el Reglamento (UE) 2016/679 del Parlamento Europeo y del Consejo, de 27 de abril de 2016, relativo a la protección de las personas físicas en lo que respecta al tratamiento de datos personales y a la libre circulación de estos datos y por el que se deroga la Directiva 95/46/CE, y de conformidad con la legislación nacional aplicable en materia de protección de datos, le recordamos que sus datos están incorporados en la base de datos de PELDAÑO MEDIA GROUP, S. L., como Responsable de Tratamiento de los mismos, y que serán tratados en observancia de las obligaciones y medidas de seguridad requeridas, con la finalidad de gestionar los envíos en formato papel y/o digital de la revista, de información sobre novedades y productos relacionados con el sector, así como poder trasladarle, a través nuestro o de otras entidades, publicidad y ofertas que pudieran ser de su interés, de conformidad con el consentimiento prestado al solicitar su suscripción expresa y voluntaria a la misma, cuya renovación podrá ser requerida por Ediciones Peldaño en cumplimiento del citado Reglamento. Le informamos que podrá revocar dicho consentimiento, en cualquier momento y en ejercicio legítimo de los derechos de acceso, rectificación, cancelación, oposición, portabilidad y olvido, dirigiéndose a PELDAÑO MEDIA GROUP, S. L., Avda. Manzanares, 196. 28026 Madrid, o al correo electrónico distribucion@peldano.com.

Foto: Fernando Rey Duro

La Precisión Digital que Tu Sonrisa Merece

En Laboratorio Ceranium somos expertos en tecnología de vanguardia y nuestro equipo de técnicos trabajan juntos para garantizarte una experiencia dental incomparable.

¿Por qué debes elegirnos como tu laboratorio?

Tecnología de ÚLTIMA GENERACIÓN

ƒ Líderes en recepción de archivos intraorales: Precisión sin incomodidad.

ƒ Diseño CAD/CAM in house: Prótesis fabricadas con máxima precisión.

ƒ Impresión 3D: Soluciones personalizadas y avanzadas.

Nuestros SERVICIOS

ƒ Prótesis Fija

 Perfeccionamiento de estructuras de titanio con el nuevo servicio Tinium.

 Disilicato de Litio, Zirconio y Metal-Cerámica.

ƒ Prótesis Removible y Férulas de descarga

ƒ Cirugía Guiada

 Planificación Digital: Seguridad y exactitud en cada paso.

 Guías Quirúrgicas Personalizadas: Menor tiempo en quirófano, mejor recuperación.

Beneficios PARA TU CLÍNICA +

ƒ Pacientes Satisfechos: Resultados naturales, duraderos y de máxima calidad.

ƒ Tiempos de entrega: Justificados con protocolos de trabajo que garantizan la funcionalidad de las prótesis.

ƒ Comunicación Personalizada con técnico especializado: Mayor comunicación, menor tasa de incidencias.

ƒ Formación a odontólogos de la mano de los principales partners del sector.

“Profesionalidad, calidad, buena comunicación y comprometidos con su trabajo, totalmente recomendable”

Dr. G.

Visítanos Hoy: www.laboratorioceranium.com Calle Gavilanes 11; Pinto (28320) Madrid +34 91 517 06 33

y clínica

Ciencia

Tratamiento de defectos mucogingivales en combinación con defectos óseos interproximales

Mediante el uso de hueso particulado y láminas corticales desmineralizadas alogénicas

DR. ERIK REGIDOR

Doctor Cum Laude por la UPV. Máster Oficial en Ciencias UPV. Especialista en Periodoncia e Implantes UPV. Investigador en ThinkingPerio Research & Arrow Development.

Dr. Aitor Rilo

Máster en Periodoncia, Cirugía Oral e Implantología UAX. Odontólogo por la UPV.

Dr. Jon Salazar

Doctor Cum Laude por la UPV. Coordinador de la Cátedra de Formación e I+D en Odontología Clínica Pgo UCAM.

Dra. Ana Azkue

Licenciada en Odontología por la Universidad de Santa María (Caracas, Venezuela).

Mónica González

Auxiliar clínica enfocada a Periodoncia, implantes y cirugía mínimamente invasiva.

Dr. Alberto Ortiz-Vigón

Doctor Cum Laude por la UCM. MBA por la Universidad de Deusto. Especialista en Periodoncia e Implantes UCM. Investigador en ThinkingPerio Research & Arrow Development.

El sector anterior mandibular tiende a ser una zona en la que el tratamiento de recesiones gingivales puede tener una menor predictibilidad. Es una zona anatómica en la que las recesiones gingivales suelen combinarse con una banda de encía queratinizada deficitaria, escasa profundidad vestibular e, incluso, frenillos aberrantes o inserciones musculares altas.

Además, en numerosas ocasiones, al elevar un colgajo quirúrgico se observa que la recesión visible oculta una dehiscencia ósea adicional que compromete la vascularización del injerto y, por lo tanto, la predictibilidad del procedimiento. El diseño quirúrgico más empleado convencionalmente en el campo de la cirugía mucogingival o de la cirugía plástica periodontal es el colgajo de avance coronal (1-5). Es la técnica quirúrgica con mayor respaldo científico y con mejores resultados a

«El colgajo de avance coronal es la técnica quirúrgica con mayor respaldo científico y con mejores resultados a largo plazo en términos de cobertura radicular completa»

largo plazo en términos de cobertura radicular completa cuando se combina con un injerto de tejido conectivo autólogo. Por otra parte, otra alternativa que también está considerablemente consolidada es la técnica de tunelización. Las ventajas más destacables son evitar incisiones que comprometan la vascularización de las papilas y la estética (6-10).

Sin embargo, la tracción coronal que se realiza en estas técnicas podría llegar a comprometer o limitar la profundidad de vestíbulo y, como consecuencia, el acceso a la higiene. Otra de las técnicas que se ha podido emplear históricamente en el quinto sextante es el injerto gingival libre (11, 12). No obstante, a pesar de que acostumbra a proporcionar una banda de encía queratinizada y una profundidad de vestíbulo adecuadas, los resultados, en términos de estética y de cobertura radicular, son menos favorables.

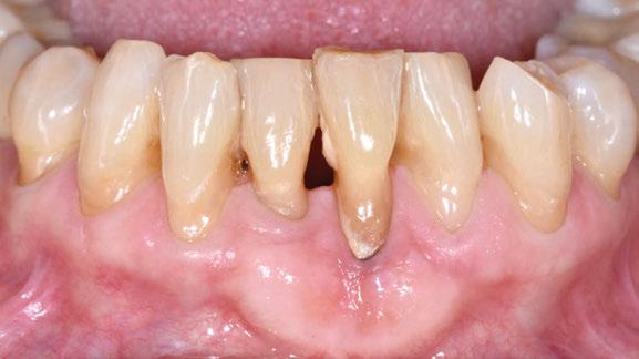
Figura 1. Caso clínico 1. Situación clínica basal de una paciente que presenta recesiones gingivales con pérdida de inserción interproximal en el quinto sextante. A la exploración se observa una profundidad de sondaje incompatible con salud en centro-vestibular del diente en posición de 41, presumiblemente combinado con una dehiscencia ósea.

Por otra parte, hasta la fecha, todas las técnicas anteriormente descritas han mejorado sus resultados al combinarse con un injerto de tejido conectivo autólogo, tanto en términos de cobertura radicular como en estabilidad a largo plazo. Sin embargo, la obtención de un injerto de tejido conectivo autólogo, lleva consigo implícitas una serie de desventajas como el incremento de la morbilidad, del tiempo de tratamiento y del consumo de analgésicos postquirúrgicos. Adicionalmente, en numerosas ocasiones, la cantidad de tejido del que disponemos en el área donante del propio paciente es inferior al requerido para un obtener un resultado óptimo.

Por eso, no es de extrañar que la industria y la evidencia científica señalen hacia la utilización de sustitutos o alternativas

«Al elevar un colgajo quirúrgico se observa que la recesión visible oculta una dehiscencia ósea adicional que compromete la vascularización del injerto»

al tejido conectivo autólogo. Probablemente, el sustituto más empleado y analizado son las matrices colágenas, pero, hasta la fecha, los resultados no alcanzan a ser comparables a los que se obtienen con la utilización de injertos autólogos (13). Recientemente, se está empezando a plantear la utilización de láminas de cortical desmineralizadas bajo la hipótesis de que, al tener una mayor consistencia que las matrices colágenas, podría proporcionar una mayor estabilidad y, por ende, mejores resultados a largo plazo. Además, podrían ser ideales para el tratamiento combinado de las dehiscencias óseas que, de manera simultánea, tienden a existir en este tipo de situaciones. No obstante, hasta la fecha no existen estudios de investigación que hayan analizado el posible potencial de este tipo de alternativas. Para la utilización de este tipo de láminas es necesario destacar que los diseños tunelizados quedarían descartados ya que, debido al tamaño, no se podría introducir a través del margen gingival de los dientes a tratar. Asimismo, técnicas como el colgajo

de avance coronal tampoco serían de elección, puesto que al traumatizar la zona de las papilas y del margen gingival debido al diseño, podrían comprometer el cierre primario y provocar una dehiscencia que expusiera la lámina. Por todo ello, la hipótesis que planteamos es la combinación de una lámina alogénica y de un diseño de colgajo de acceso apical vestibular para evitar traumatizar el área de las recesiones a tratar, estabilizar adecuadamente la lámina y no comprometer la profundidad de vestíbulo (14-16). Estos diseños de colgajo de acceso apical vestibular fueron propuestos en la década de los 60 por los autores Edlan & Mechar (17), aunque posteriormente se han ido proponiendo diferentes modificaciones (18-22).

Por lo tanto, el objetivo del presente artículo es describir, mediante la utilización de un diseño de acceso apical vestibular y una lámina cortical desmineralizada, la secuencia completa de tratamiento de pacientes con recesiones gingivales y dehiscencias óseas en el quinto sextante (detectables en el CBCT de manera prequirúrgica).

CASO CLÍNICO 1 (FIGURAS 1-7)

Paciente de 32 años de edad que acude a la consulta preocupada por la situación de su diente en posición de 41. Le preocupa tanto a nivel de salud como a nivel estético. Además, refiere incapacidad para llevar a cabo un correcto cepillado de esa zona e hipersensibilidad dental.

A la exploración clínica presenta una recesión RT3 (23) en el diente en posición de 41. Además, carece de una banda de encía queratinizada adecuada (≥2mm) y presenta una reducción significativa de la

I SIMPOSIO SALUGRAFT

No te pierdas el I Simposio Salugraft si quieres aprender de los mejores expertos en aloinjertos

No te pierdas el I Simposio Salugraft si quieres aprender de los mejores expertos en aloinjertos

OraGRAFT 70/30

OraGRAFT 70/30

Rapidez, volumen y calidad del hueso

Rapidez, volumen y calidad del hueso

Disminuye el tiempo de reentrada a 3-4 meses

Disminuye el tiempo de reentrada a 3-4 meses

Gran flexibilidad

Gran flexibilidad

Rápida hidratación

Rápida hidratación

Fácil fijación

Fácil fijación

Osteoinductiva y osteoconductiva

Osteoinductiva y osteoconductiva

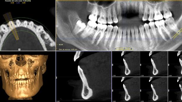
Figura 2. Radiografía tridimensional basal donde se aprecia la ausencia de tabla vestibular en el diente en posición de 41.

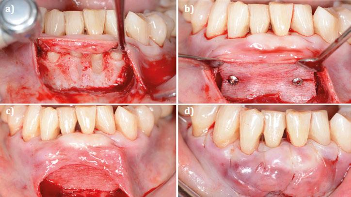
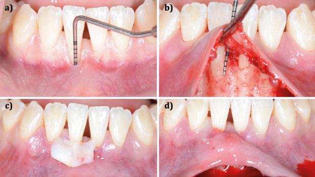
Figura 3. Intervención quirúrgica del caso clínico 1. a) situación clínica basal; b) colgajo de acceso apical vestibular y medición del defecto; c) posicionamiento ideal del injerto de tejido conectivo autólogo; d) sutura del injerto de tejido conectivo autólogo al colgajo a través del acceso apical vestibular.

Figura 4. Intervención quirúrgica del caso clínico 1. a) posición del injerto suturado a través del colgajo de acceso apical vestibular; b) utilización de aloinjerto particulado (OraGRAFT® Aloinjerto Cortical Particulado MIX 70% Mineralizado / 30% Desmineralizado) para rellenar el interior del defecto y cubrir la dehiscencia ósea; c) cobertura de la dehiscencia ósea con el aloinjerto particulado; d) customización de la lámina de cortical acorde a las características del defecto (Lámina de cortical desmineralizada Cortiflex® Salugraft Dental).

EL FUTURO DE LOS COMPOSITES

✔ Profundidad de polimerización ilimitada (composite autopolimerizable)

✔ Interfaz sin espacios

✔ Solo 2 pasos: preparación de 15 segundos

✔ Alta resistencia

✔ Contiene flúor, calcio y estroncio

✔ Elija cápsula o jeringa automix

ESTUDIO: INTERFAZ

SIN ESPACIOS

Una micrografía confocal de una interfaz de dentina Stela sin espacios. Fíjese en la profundidad de penetración de Stela Primer (amarillo) en los túbulos dentinarios.

FUENTE: SAURO, Salvatore et al. 2022.

Imágenes cortesía de la Prof. Dra. Rocío Lazo
ANTES DESPUÉS

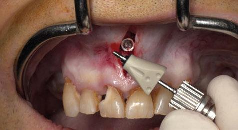
Figura 5. Intervención quirúrgica del caso clínico 1. a) fijación de la lámina cortical con microtornillos. b) sutura y finalización del procedimiento. Vista frontal/vestibular; c) sutura y finalización del procedimiento. Vista oclusal; d) sutura y finalización del procedimiento. Vista lateral/de perfil.

profundidad de vestíbulo combinada con la inserción alta y/o aberrante del frenillo labial incapacitando un correcto mantenimiento de la zona (24).

Se realiza una incisión biselada hacia coronal a espesor total en forma de parábola cóncava a apical en la mucosa labial con una hoja de bisturí no 10 alejada del fondo de vestíbulo actual. Es necesario destacar que la línea de incisión que estamos realizando se convertirá en el nuevo fondo de vestíbulo al final del procedimiento. El bisturí debe estar orientado a 45o al eje apico-coronal de los dientes. Además, la extensión mesio-distal de la incisión será acorde al número de recesiones adyacentes a tratar, debiendo extendernos idealmente un diente más a cada lado.

Una vez preparado el lecho receptor, dada la existencia de una situación combinada de recesión gingival y una dehiscencia ósea vestibular con pérdida de inserción interproximal, se opta por la utilización combinada de un injerto de tejido conectivo autólogo tuberositario, un sustituto de origen alogénico (Lámina de cortical desmineralizada Cortiflex® Salugraft Dental) que se fija mediante dos chinchetas a ambos lados, cubriendo un injerto óseo de origen alogénico particulado (OraGRAFT® Aloinjerto Cortical Particulado MIX 70% Mineralizado / 30% Desmineralizado). Primero se suturó el injerto de tejido conectivo autólogo al colgajo, después se colocaron las partículas

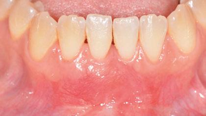
Figura 6. Situación clínica a los 12 meses de seguimiento.
Figura 7. Cambios radiográficos. a) radiografía 2D basal; b) radiografía 2D 12 meses.

Estética y precisión

César de la Ossa

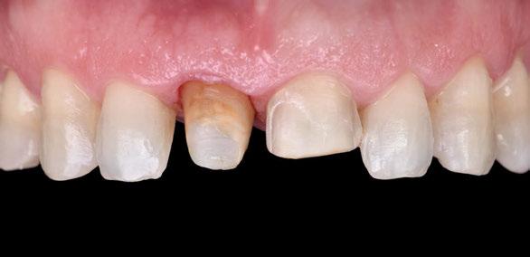
Figura 8. Caso clínico 2. Situación clínica basal.

Figura 9. Radiografía tridimensional basal donde se aprecia la ausencia de tabla vestibular en el diente en posición de 31.

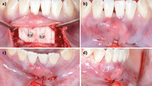
Figura 10. Intervención quirúrgica del caso clínico 2. a) acceso apical vestibular mediante incisión en la mucosa labial; b) fijación de la lámina cortical desmineralizada de origen alogénico (Lámina de cortical desmineralizada Cortiflex® Salugraft Dental. c) pasividad del colgajo tras el posicionamiento de la lámina; d) sutura anclada a periostio del colgajo a fondo de vestíbulo.

Para ortodoncistas sin experiencia

Módulo I: On-Line

Módulo II: 13 y 14 Septiembre 2024

Módulo III: 11 y 12 Octubre 2024

Módulo IV: 8 y 9 Noviembre 2024

Study Club Online: Pte de confirmación.

4.990 €

(Desde 110€/mes)

SPARK ONBOARDING

Donde todo comienza

27 Sept. 2024 Madrid – Madrid 28 Sept. 2024 Málaga – Málaga

2.999 €

(Desde 66€/mes)

Solo para auténticos expertos

Módulo I: 27 y 28 Sept. 2024

Módulo II: 18 y 19 Oct. 2024

Semi - intensivo Málaga

4.595 €

(Desde 100€/mes)

MASTERCLASS MICROTORNILLOS

Madrid | 25-26 de octubre 2024

Impartido por los doctores Dr. Manuel Román & Dr. Juan Carlos Pérez-Varela

MASTERCLASS CIRUGÍA ORTOGNÁTICA & ORTODONCIA INVISIBLE

Madrid | 22 y 23 de noviembre de 2024

(Desde 66€/mes)

Impartido por los doctores Manuel Román, Federico Hernández- Alfaro y Juan Carlos Pérez-Varela

66€/mes)

(Desde

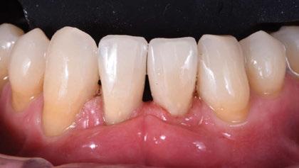
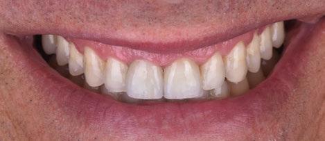
Figura 11. Resultado clínico a 12 meses de seguimiento. a) situación en oclusión. Vista frontal/vestibular. b) vista oclusal del quinto sextante. c) vista frontal/ vestibular del quinto sextante; d) vista de perfil/ lateral del quinto sextante.

Figura 12. Comparativa de imágenes prequirúrgicas y seguimiento. a) situación clínica basal del quinto sextante. Vista frontal/vestibular. b) situación clínica del quinto sextante tras 36 meses de seguimiento. Vista frontal/vestibular. c) situación clínica basal del quinto sextante. Vista oclusal. d) situación clínica del quinto sextante tras 36 meses de seguimiento. Vista oclusal.

de injerto óseo y, posteriormente, se fijó la lámina cortical.

Por último, se sutura la línea de incisión a fondo de vestíbulo dando puntos anclados al periostio, permitiendo, con escasos puntos de sutura, cerrar el acceso realizado y dejando la mucosa labial cicatrizando por segunda intención.

Estos puntos se dan atravesando con la sutura el colgajo en dirección corono-apical y, posteriormente, atravesando el periostio en perpendicular en dirección mesio-distal.

Figura 13. Análisis digital mediante la superposición de archivos STL comparando la situación clínica basal previa al procedimiento quirúrgico versus la situación a los 12 meses de seguimiento. a) cambio en sentido vertical desde el margen gingival basal al margen gingival tras 12 meses de seguimiento. b) cambio en sentido horizontal a nivel del margen gingival basal.

CASO CLÍNICO 2 (FIGURAS 8-15)

Paciente de 64 años de edad que acude a consulta refiriendo haber sido intervenida hace años para el tratamiento de sus recesiones gingivales. Refiere que, además, sus recesiones han progresado desde entonces.

A la exploración clínica se observan recesiones RT3 en el quinto sextante, siendo el diente en posición de 31 el que peor situación basal presenta. En este caso existe una banda de encía queratinizada

Admira Fusion 5 – Simplemente más rápido. Simplemente estético.

Cubra los 16 colores VITA® con sólo 5 Cluster Shades

• Universal: para las más altas exigencias en dientes anteriores y posteriores

• Rápido: una fotopolimerización de sólo 10 segundos para todos los colores

• Excelentemente biocompatible: ningunos monómeros clásicos

• De primera clase: con diferencia, la más baja contracción (1,25% en vol.)

Figura 14. Escaneado digital y superposición de archivos STL c o mparando la situación clínica basal previa al procedimiento quirúrgico versus la situación a los 12 meses de seguimiento. a) escaneado intraoral basal y 12 meses posterior al procedimiento quirúrgico. b) cambio volumétrico desde la situación basal en comparación con los 12 meses de seguimiento. Marcado en amarillo.

Figura 15. Cambios radiográficos. a) radiografía 2D basal. B) radiografía 2D a 36 meses de seguimiento.

Figura 16. Caso clínico 3. a) situación clínica basal. b) situación clínica en revaluación tras terapia periodontal básica y extracción de un incisivo inferior. c) radiografía 2D inicial.

Figura 17. Procedimiento quirúrgico. a) extracción de incisivo central inferior y colgajo de acceso apical vestibular. b) posicionamiento ideal del injerto de tejido conectivo autólogo. c) sutura del injerto de tejido conectivo; d) utilización de aloinjerto particulado (OraGRAFT® Aloinjerto Cortical Particulado MIX 70% Mineralizado / 30% Desmineralizado) para reconstruir la dehiscencia ósea y preservar el alveolo resultante de las dos extracciones.

en apical que podemos pensar que se logró en la intervención previa realizada. A nivel de radiografía 3D se observa que adicionalmente presenta una dehiscencia ósea vestibular.

El diseño quirúrgico empleado es idéntico al del primer caso clínico. En este caso, adicionalmente, se desplaza la banda de encía queratinizada apical hacia coronal gracias al avance del colgajo.

Al combinarse la presencia de recesiones gingivales avanzadas con pérdida de inserción interproximal y dehiscencias óseas se utilizó nuevamente una lámina de cortical desmineralizada. La sutura realizada en este procedimiento quirúrgico es idéntica a la del primer caso clínico.

En un seguimiento a medio plazo, se puede observar un mantenimiento adecuado de los resultados en términos de salud periodontal, cobertura radicular, aumento de encía queratinizada y de profundidad de vestíbulo.

CASO CLÍNICO 3 (FIGURAS 16-23)

Se trata de un paciente de 57 años de edad que acude a la clínica con motivo de tener un complejo psicológico debido a la situación de sus incisivos inferiores. Presenta una reabsorción radicular en el diente en posición de 31, que además tiene una pérdida de inserción avanzada, al igual que los otros tres incisivos. Se realizó tratamiento periodontal

22. Situación clínica tras retirada de ortodoncia y cementado de carillas en los dientes 42 y 32 reconvertidos en incisivos centrales inferiores.

Figura 18. Procedimiento quirúrgico. a) customización de la lámina de cortical acorde a las características del defecto (Lámina de cortical desmineralizada Cortiflex® Salugraft Dental). b) fijación de la lámina cortical con microtornillos.

19.

y cierre del procedimiento quirúrgico. Vista vestibular/frontal.

Figura 23. Cambios radiográficos. a) radiografía 2D previa al tratamiento de ortodoncia; b) radiografía 2D tras el cementado de las carillas.

Figura
Figura 21. Cicatrización a las 2 semanas.
Figura 20. Sutura y cierre del procedimiento quirúrgico. a) vista lateral/de perfil. b) vista oclusal.
Figura
Sutura

*Incluídos en la oferta formativa de posgrado de la Universidad del País Vasco

Hasta el 30 de septiembre de 2024

www. fundacioneduardoanitua.org

básico y la extracción del diente 31 previa a la cirugía. Procedemos a realizar el mismo colgajo de acceso apico-vestibular mencionado anteriormente. En este caso se extrae el diente en posición de 41 durante el procedimiento quirúrgico.

En este sentido, vuelve a realizarse el mismo protocolo de materiales que en el primer caso clínico. Es decir, en primer lugar se sutura un injerto de tejido conectivo al colgajo; posteriormente se utiliza un injerto óseo alogénico particulado (OraGRAFT® Aloinjerto Cortical Particulado MIX 70% Mineralizado / 30% Desmineralizado) para reconstruir la dehiscencia ósea además de preservar el escaso alveolo del diente extraído; y adicionalmente se utiliza la lámina de cortical desmineralizada (Lámina de cortical desmineralizada Cortiflex® Salugraft Dental).

La sutura realizada en este procedimiento quirúrgico es idéntica a la del primer caso clínico.

Tras cuatro meses de cicatrización, el paciente se sometió a tratamiento ortodóntico y, tras ello, a tratamiento restaurador para mejorar la estética.

CONCLUSIONES

El presente artículo y los casos clínicos que lo ilustran apoyan la tesis de que la utilización de una lámina cortical desmineralizada mediante un diseño quirúrgico de acceso apical vestibular aporta resultados favorables en términos de cobertura radicular y tratamiento de los defectos óseos de manera simultánea.

Se necesitan ensayos clínicos aleatorizados para entender bien el potencial de esta técnica y de los sustitutos combinados.

Adicionalmente, se requiere la realización de este tipo de procedimientos clínicos en otras localizaciones de la boca para entender su potencial más allá del quinto sextante. ●

AGRADECIMIENTOS

Quisiéramos agradecer el inestimable trabajo realizado por M ª Carmen Blanco, Idoia Ayllón, Noain Begoña y Silvia Justel por su labor en el mantenimiento y seguimiento de los pacientes presentados para ilustrar el presente artículo. Adicionalmente, quisiéramos agradecer el trabajo del laboratorio RealCAD Innovation Design por realizar las mediciones de los archivos STL para identificar la ganancia volumétrica. Por último, quisiéramos agradecer la colaboración de las Dras. Aiala González y Nieves Albizu en el tratamiento ortodóntico y estético restaurador, respectivamente, del último paciente presentado.

BIBLIOGRAFÍA

1. ALLEN EP, MILLER PD JR. (1989). Coronal positioning of existing gingiva: short term results in the treatment of shallow marginal tissue recession.

J Periodontol 60 (6) 316-9.

2. ZUCCHELLI G, DE SANCTIS M. (2000). Treatment of Multiple Recession-Type Defects in Patients With Esthetic Demands. Journal of Periodontology, 71: 1506-1514.

3. ZUCCHELLI G, DE SANCTIS M. (2005). Long-term outcome following treatment of multiple Miller class I and II recession defects in esthetic areas of the mouth.

J Periodontol. 76(12):2286-92.

4. CAIRO F, PAGLIARO U, NIERI M. (2008). Treatment of gingival recession with coronally advanced flap procedures: a systematic review.

Journal of Clinical Periodontology, 35: 136-162.

5. CORTELLINI GP, PINI PRATO GP. (2012). Coronally advanced flap and combination therapy for root coverage. Clinical strategies based on scientific evidence and clinical experience. Periodontol 2000 59: 158–184

6. ZABALEGUI I, SICILIA A, CAMBRA J, GIL J, SANZ M. (1999). Treatment of multiple adjacent gingival recessions with the tunnel subpeithelial connective tissue graft: a clinical report. International Journal of Periodontics and restorative dentistry 19, 199 - 206

7. ALLEN. (1994). Use of the supraperiosteal envelope in soft tissue grafting for root coverage. I. Rationale and technique. Int J Periodontics Restorative Dent 14 (3) 216-27

8. AROCA S, KEGLEVICH T, NIKOLIDAKIS D, GERA I, NAGY K, AZZI R, ETIENNE D. (2010). Treatment of class III multiple gingival recessions: a randomized-clinical trial. J Clin Periodontol 37 (1) 88-97.

9. GOBBATO L, NART J, BRESSAN E, MAZZOCCO F, PANIZ G, LOPS D. (2016). Patient morbidity and root coverage outcomes after the application of a subepithelial connective tissue graft in combination with a coronally advanced flap or via a tunneling technique: a randomized controlled clinical trial. Clin Oral Investig. 20(8):2191-2202.

10. ZUHR, O, REBELE, SF, SCHNEIDER, D, JUNG, RE, HÜRZELER, MB. (2014b) Tunnel technique with connective tissue graft versus coronally advanced flap with enamel matrix derivative for root coverage: a RCT using 3D digital measuring methods. Part I. Clinical and patient-centred outcomes. J Clin Periodontol 41: 582– 592.

11. MILLER PD JR. (1987), Root Coverage with the Free Gingival Graft. Journal of Periodontology, 58: 674-681.

12. TOLGA YILMAZ B, COMERDOV E, KUTUK C, NART J, GENCAY KECELI H. (2022), “Modified coronally advanced tunnel versus epithelialized free gingival graft technique in gingival phenotype modification: a comparative

randomized controlled clinical trial”, Clinical Oral Investigations, vol. 26, No. 10, pp. 1-11, ISSN: 1432-6981.

13. REGIDOR E, ORTIZ-VIGÓN A. (2020). Utilización de matrices colágenas en cirugía mucogingival. Dentista Moderno. Abril 2020.

14. ORTIZ-VIGÓN A, REGIDOR E, CALZAVARA D. Acceso bucal apical para el tratamiento de recesiones múltiples adyacentes RT3 en el quinto sextante. Periodoncia Clínica 2023/26. 73-84.

15. REGIDOR E, ZARZUELA L, ALBIZU N, SERRANO I, GROSS E, ORTIZ-VIGÓN A. (2021). Nuevos abordajes para el tratamiento reconstructivo del maxilar atrófico. Técnica ABA (Apical Buccal Access). Maxillaris. Mayo 2021.

16. REGIDOR E, ORTIZ-VIGÓN A. (2024). Acceso apical vestibular. ¿Se trata de una moda o de una alternativa clínica válida?. Gaceta Dental. Enero 2024.

17. EDLAN A, MEJCHAR B. (1963). Plastic surgery of the vestibulum in periodontal therapy. Int Dent J 13:593.

18. SCHMID MO, MÖRMANN W, BACHMANN A. (1979). Mucogingival surgery. The subperiosteal vestibule extension. Clinical results 2 years after surgery.

J Clin Periodontol 6: 22-32

19. REMOLINA A, AGUIRRE L.A, BAYONA J.M, RUIZ DE BADANELLI M. (2006). Técnica de Edlan-Mejchar modificada: un nuevo procedimiento quirúrgico para tratar recesiones asociadas a un frenillo de inserción alta. Periodoncia y Osteointegración 16: 21-32

20. BETHAZ N, ROMANO F, FERRAROTTI F, MARIANI GM, AIMETTI M. (2014). A mucogingival technique for the treatment of multiple recession defects in the mandibular anterior region: a case series with a 2-year follow-up. Int J Periodontics Restorative Dent. 34(3):345-52.

21. CALZAVARA D, MORANTE S, SANZ J, SANZ M. (2016). Abordaje apical y punto suspensorio para la reconstrucción de la papila interdental: serie de casos. Periodoncia Clínica 1:11-21

22. CALZAVARA D, MORANTE S, SANZ J, NOGUEROL F, GONZÁLEZ J, ROMANDINI M, SANZ M (2021). The apically incised coronally advanced surgical technique (AICAST) for periodontal regeneration in isolated defects: a case series. Quintessence Int. 53(1):24-34

23. CAIRO F, NIERI M, CINCINELLI S, MERVELT J, PAGLIARO U (2011). The interproximal clinical attachment level to classify gingival recessions and predict root coverage outcomes: An explorative and reliability study. Journal of Clinical Periodontology 38, 661-666.

24. CORTELLINI P, BISSADA NF. (2018). Mucogingival conditions in the natural dentition: Narrative review, case definitions, and diagnostic considerations. Journal of Clinical Periodontology 45, 190-198

Tenemos un libro para cada profesional dental

tienda.gacetadental.com y elige: ¿cuál es el tuyo?

¡Accede a la tienda!

Impulsa:

Protocolo desarrollado por:

Ciencia y clínica Tratamiento del tabaquismo en la consulta dental (I)

DRA. REGINA IZQUIERDO

Periodoncista.

Profesora asociada de Periodoncia en la Universidad de Valencia (UV) y del Máster de Periodoncia e Implantes de la UV. Coordinadora del grupo de trabajo SEPA-CNPT para la “Cesación tabáquica”. Directora científica de la revista “Cuida tus encías” de la Fundación SEPA.

Dr. Miguel Carasol Periodoncista. Médico Especialista en Estomatología. Doctor en Odontología. Coordinador de la Alianza por la Salud Periodontal y General de la Fundación SEPA.

RESUMEN

El consumo de tabaco, en cualquiera de sus formas, constituye el mayor factor de riesgo para la salud del ser humano, siendo responsable de una morbimortalidad altísima a nivel global.

De prevalencia muy elevada, la disminución de su consumo y el fomento de la abstinencia tabáquica son objetivos prioritarios de la sanidad mundial. En este sentido, la profesión odontológica puede jugar un papel relevante en el abandono de esta enfermedad, teniendo en cuenta los efectos negativos del tabaco sobre la cavidad oral, siendo los más relevantes los que afectan al cáncer orofaríngeo y la periodontitis. Dado el contacto periódico con el paciente fumador, el equipo dental está en una situación favorable para ayudar a sus pacientes a dejar de fumar y mejorar su estado bucal y general.

Palabras clave: tabaquismo, cesación tabáquica, consulta dental, periodontitis, cáncer oral, patología bucodental.

ABSTRACT

Tobacco consumption in any of its forms constitutes the greatest risk factor for human health, being responsible for a very high morbidity and mortality at a global level. With a very high prevalence, reducing its consumption and promoting smoking abstinence are priority objectives of global health. The dental profession can play a relevant role in quitting this habit, considering the negative effects of tobacco on the oral cavity, the most relevant being those that affect oropharyngeal cancer and periodontitis. Given their regular contact with the smoking patient, the dental team is in a favorable position to help their patients quit smoking and improve their oral and general condition.

SITUACIÓN DEL TABAQUISMO

Cuando nos planteamos abordar el tema del tabaquismo con nuestros pacientes en la consulta dental y previamente a cualquier tipo de intervención para ayudarles a dejar de fumar, es imprescindible que

«Todos los estudios sugieren que las intervenciones en cesación tabáquica conducidas por profesionales de la salud oral pueden aumentar de manera significativa las tasas de abstinencia»

todo el equipo de salud bucodental tome conciencia y conozca las características del problema del tabaquismo, su naturaleza compleja y compulsiva, sus efectos en la salud así como la existencia de diferentes factores que refuerzan su consumo, con el fin de aumentar la confianza del profesional y, con ello, la eficacia de la actuación (1).

El tabaquismo es una enfermedad crónica de carácter adictivo y recidivante, que puede evolucionar con recaídas. Su prevalencia es muy elevada; en España fuman a diario un 23,6% de los hombres y un 16,4% de las mujeres mayores de 15 años (Figura 1). La nicotina es la responsable de esta adicción al ser una sustancia que actúa a nivel del sistema nervioso central con unas características similares a las de una droga, como son la tolerancia, la dependencia física y psicológica, junto con la aparición de un síndrome de abstinencia cuando se deja de consumir.

Así, esta enfermedad constituye uno de los principales problemas de salud pública del ser humano, al ser

Figura 1. Consumo de tabaco por sexo en 2020. Fuente: Encuesta Europea de Salud en España 2020. INE-MSCBS.

una afección grave e invalidante que afecta simultáneamente a todo el organismo, siendo la principal causa de morbimortalidad, pérdida de capacidades y de calidad de vida evitable en el mundo (2). En nuestro entorno, y como puerta de entrada, la boca es particularmente sensible a la exposición de los productos con tabaco. Fumar produce un gran impacto en la salud oral y es el principal factor de riesgo para el cáncer orofaríngeo, implicado en el 90% de los casos (Figura 2) y para la periodontitis (Figura 3), al aumentar su prevalencia y severidad, además de influir de manera negativa en la cicatrización de las heridas (Figura 4) y en los resultados de los tratamientos

periodontales, con implantes osteointegrados y/o de estética dental, entre otros, así como en el posterior mantenimiento de la salud y la estabilidad periodontal y bucodental (3-10). Según la Guía de Práctica Clínica de la Federación Europea de Periodoncia para el tratamiento de la Periodontitis, después de la actuación sobre la higiene oral, la cesación tabáquica es una de las partes más importantes de la terapia periodontal, al estar implicado el tabaco de forma directa en un 30%-40% de los casos de periodontitis (4, 7, 11).

Es imprescindible también estar al día sobre las nuevas formas de fumar, cada vez más presentes en nuestra sociedad (12). En la Figura 5

Figura 2. Carcinoma epidermoide extenso en un paciente fumador crónico.
Figura 3. Aspecto clínico de la periodontitis en un paciente fumador.
Figura 4. Necrosis de un colgajo palatino tras cirugía resectiva en un fumador.

se resumen las más relevantes en la actualidad.

Cigarrillos electrónicos o vaporizadores

Estos dispositivos contienen unos depósitos de un líquido con diferentes concentraciones de nicotina, aditivos de sabores, propilenglicol o glicerina, y que al calentarse producen un vapor que simula el humo del tabaco. También contienen otras sustancias químicas, como aldehídos, metales pesados y nitrosaminas (13, 14). El aumento exponencial de su consumo ha generado una alarma científica y sanitaria porque con la evidencia disponible sabemos que, aunque son menos tóxicos que el tabaco convencional (14), no es posible asegurar la inocuidad de los vapores que inhalan los usuarios de estos dispositivos ni sus posibles efectos a largo plazo (15). Así, su consumo se ha duplicado en los últimos años y se inicia cada vez en edades más tempranas, incluso por debajo de los 11 años.

Figura 5. Sistemas actuales para fumar sin humo. (Imágenes con licencia. Adobe Stock).

En definitiva, el vapeo se está convirtiendo en la nueva forma de fumar, sobre todo entre los más jóvenes. Esta tendencia se ve muy influenciada por la presión de la publicidad, la percepción de que es inocuo (falsa sensación de seguridad), así como por la idea equivocada de que pueden servir para dejar de fumar tabaco convencional (13). Según la OMS, el uso de cigarrillos electrónicos por parte de niños y adolescentes triplica las posibilidades de que se consuma tabaco tradicional en un futuro; y en adultos no debería considerase como un método alternativo para dejar de fumar (2). Los últimos estudios evidencian que estos dispositivos también generan adicción (parece que de manera aún más rápida que el tabaco convencional) y son también peligrosos para la salud, describiéndose daños a nivel cardiovascular y pulmonar, incluyendo crisis asmáticas o hemoptisis (14). Existe también evidencia en estudios in vitro sobre

«La clínica dental puede abordar el problema del tabaquismo debido al acceso a un grupo amplio de la población que visita cada año nuestras consultas»

sus repercusiones a nivel oral y periodontal (5, 10, 13, 14, 16); y, aunque faltan más estudios a largo plazo, pues su uso es relativamente reciente (10), ya existe evidencia de su relación con otras alteraciones sistémicas y con cambios asociados a un aumento del riesgo de cáncer. Además, la gran diversidad de estos productos, su constante evolución y la complejidad de ingredientes contribuye a una gran variabilidad que condiciona y limita estos estudios (12, 14).

El tabaco calentado sin quemar

Estas alternativas para fumar son legales en los EE. UU. desde 2019. Se diferencian de los vaporizadores y cápsulas porque utilizan tabaco, no líquido, para administrar nicotina. El dispositivo contiene una barra hecha de tabaco molido comprimido, calentado por una unidad electrónica que genera un aerosol similar al humo del vapeo.

Los consumidores de tabaco calentado sin quemar obtienen aproximadamente el mismo nivel de nicotina que los cigarrillos, por lo que estos productos son igualmente adictivos. Los consumidores también respiran monóxido de carbono, metales pesados (como arsénico, plomo y mercurio) y otras sustancias químicas tóxicas.

El tabaco soluble

El tabaco soluble viene en barras, tabletas, pequeñas bolitas con forma de pastillas para el aliento o pastillas o tiras finas que se derriten en la boca, siendo los productos que más se acercan a los dulces en cuanto a su atractivo para los consumidores jóvenes. Debido a que generalmente aportan más nicotina que los cigarrillos, su consumo puede aumentar el riesgo de intoxicación por nicotina.

El tabaco picado (o snus)

Este producto viene en pequeñas bolsas de tabaco en polvo que caben debajo del labio superior y que, a diferencia de otros productos sin humo, no es necesario escupirlo. El snus libera nicotina y otros agentes cancerígenos, por lo que presenta riesgos graves de trastorno por uso de sustancias, problemas cardíacos y cáncer.

Las bolsas de nicotina (tabaco sintético)

A diferencia del snus, las bolsas de nicotina no tienen hojas de tabaco, pero su contenido de nicotina es entre 2 y 10 veces superior a un cigarrillo convencional, lo que tiene repercusiones en la salud general, oral y periodontal (14) (Figura 4)

Todo lo anterior, sumado a las formas tradicionales de fumar, hace cada vez más complicado el desafío que es el tratamiento del tabaquismo, por lo que deberíamos ser más ambiciosos y dirigir también nuestros esfuerzos en la consulta hacia la prevención del tabaquismo, informando sobre los riesgos asociados a todo tipo de tabaco con el fin de que los más jóvenes no se inicien en el consumo (8, 10, 17) y plantearnos actuaciones específicas para ayudarles a abandonar su uso lo antes posible, pues cuantos más años se lleva

fumando y mayor es la adicción a la nicotina, más difícil es dejarlo. Por último, deberíamos también sensibilizar a nuestros pacientes sobre los peligros de la exposición al humo ajeno, pues ser fumador pasivo es también un importante riesgo para la salud de las personas (18). Además, no podemos olvidar que el consumo de tabaco también provoca importantes daños ambientales a lo largo de todo su ciclo, desde su producción, procesamiento y transporte hasta la contaminación por los residuos generados tras su producción y consumo. Como ejemplo, las colillas tardan hasta 10 años en degradarse y contaminan el agua y los pastos, así como los residuos plásticos de vapeadores desechables. Sin embargo, la realidad es que parece que sigue sin existir una percepción real del riesgo del tabaco tanto en la población general como en los propios profesionales sanitarios, para quienes no es una prioridad en sí misma. Como profesionales de la salud, tenemos una responsabilidad con nuestros pacientes fumadores y debemos abordar el tema del tabaquismo en la consulta dental como parte de nuestra práctica de atención dental estándar (10), diagnosticando y tratando de manera individualizada a los fumadores para ayudarles a abandonar el tabaco (19) y con más prevención para conseguir la disminución de la incidencia del consumo entre jóvenes. Es prioritario concienciar a la población de la importancia de desnormalizar en la sociedad esta conducta adictiva que es el tabaquismo en cualquiera de sus formas. Si fuman menos adultos y se amplían los espacios sin humo, los menores no percibirán el fumar como

algo normalizado en la sociedad y, por tanto, será más fácil que no empiecen a fumar.

MOTIVOS PARA PLANTEAR LA CESACIÓN TABÁQUICA EN LA CONSULTA DENTAL

Todos los estudios sugieren que las intervenciones en cesación tabáquica conducidas por profesionales de la salud oral pueden aumentar de manera significativa las tasas de abstinencia (20). La clínica dental es el escenario perfecto para abordar el problema del tabaquismo, debido a que tenemos acceso a un grupo amplio de la población que visita cada año nuestras consultas y al hecho de que muchos de nuestros tratamientos requieren de varias visitas para poder completarse o para llevar un seguimiento adecuado (4, 6, 10). Esto nos brinda múltiples oportunidades para aconsejar y motivar a los pacientes para que nunca empiecen a consumirlo, para que abandonen el tabaco, para poder aplicar la estrategia de intervención más adecuada en cada caso, así como para poder llevar un buen seguimiento del proceso de cesación (3, 17).

Existen múltiples razones para involucrarse en el tratamiento del tabaquismo: a) nos preocupan especialmente los efectos adversos provocados por el consumo de tabaco en la cavidad oral y sabemos de los beneficios reales que se logran al abandonar el consumo de tabaco; b) el equipo de salud bucodental está formado por profesionales expertos en aconsejar a los pacientes sobre procesos crónicos y en ayudar a modificar comportamientos como hábitos de higiene oral o consejo dietético; c) las intervenciones no son complicadas, ni requieren mucho tiempo y son eficaces, ya que se

Aspiración potente y silenciosa

Equipos de aspiración SILENT

Los extremadamente potentes y sorprendentemente silenciosos equipos de aspiración SILENT están disponibles para un puesto o bien para varios puestos de trabajo o para unidades CAM

Descubra ahora virtualmente y en 3D

Aspiraciones para unidades CAM renfert.com/silent

Aspiraciones para puestos de trabajo renfert.com/silent

making work easy

consiguen aumentos significativos en las tasas de cesación a largo plazo; d) ayudar a dejar de fumar resulta muy gratificante, pues además de conseguir mayor salud bucodental para nuestros pacientes, fomentaremos una mayor calidad de vida y, sobre todo, prolongar la vida de nuestros pacientes; y e) este tipo de intervención potencia el prestigio del profesional y la fidelización de los pacientes.

Cualquier momento es bueno para plantear los beneficios de la cesación tabáquica, ya sean pacientes en primera visita, pacientes en tratamiento activo o en seguimiento, pues dejar de fumar es la mejor decisión que puede tomar una persona por su salud.

Sin embargo, a pesar de la amplia evidencia sobre cómo el tabaco afecta a la salud oral y a la respuesta a nuestros tratamientos, los estudios demuestran que un 40% de los dentistas no preguntan de manera rutinaria sobre el uso del tabaco ni dan consejo para la cesación (6, 20) y que sólo un porcentaje mínimo (alrededor de un 4%, según una reciente encuesta) se involucran de manera activa y rutinaria en el tratamiento del tabaquismo (17).

BIBLIOGRAFÍA

1. IZQUIERDO R, DALMAU R, JIMÉNEZ X, LÓPEZ DURÁN A, CARASOL M. Protocolo cesación tabáquica en la consulta dental. Grupo de trabajo de la Sociedad Española de Periodoncia y Osteointegración (SEPA) y el Comité Nacional para la Prevención del Tabaquismo (CNPT). 2021. Disponible en: https://sepa.es/wp-content/uploads/wpdm-cache/ Protocolo-Cesacion-Tabaquica

2. WHO. Report on the global tobacco epidemic 2015. World Health Organization. Disponible en: https://apps.who.int/iris/ handle/10665/178574

Las principales barreras identificadas para esta falta de implicación de los profesionales de la salud bucodental en la cesación tabáquica son: a) la falta de formación/conocimientos para identificar el tipo de fumador, qué tratamientos son los más efectivos en cada caso y cómo se han de administrar; b) la falta de preparación y entrenamiento adecuados; c) la falta de tiempo; d) la falta de motivación para hacer este esfuerzo; y e) la percepción de una falta de retorno inmediato con este tipo de intervención (3, 6, 10, 18, 20, 21). Se estima que el 70% de los fumadores desean dejar de fumar, aunque sólo un porcentaje muy reducido (alrededor de un 3% al 5%) lo logra sin ayuda. Con el consejo breve (no más de 3 minutos) se consigue hasta un 10% de abstinencia a los 12 meses. Sin embargo, con tratamiento conductual sube hasta un 15%, y hasta el 30% si hay además un apoyo farmacológico (22).

En la segunda parte de este artículo se abordarán los pasos a seguir para realizar la cesación tabáquica en la clínica dental. ●

3. CHAFFEE B W, COUCH ET, VORA MV, HOLLIDAY RS. (2021). Oral and periodontal implications of tobacco and nicotine products. Periodontol 2000; 87: 241-53. doi:10.1111/ prd.12395

4. RAMSEIER CA, WOELBER JP, KITZMANN J, DETZEN L, CARRA MC, BOUCHARD P. Impact of risk factor control interventions for smoking cessation and promotion of healthy lifestyles in patients with periodontitis: A systematic review. J Clin Periodontol 2020; 47: 90–106. https://doi.org/10.1111/jcpe.13240

5. CARR AB, EBBERT J. Interventions for tobacco cessation in the dental setting. Cochrane Database of Systematic Reviews 2012, Issue 6. Art. No: CD005084. DOI: 10.1002/14651858.CD005084. pub3.

6. REIBEL J. Tobacco and oral diseases: update on the evidence, with recommendations. Med Princ Pract 2003; 12 (Suppl. 1): 22-32. https://doi.org/10.1159/000069845

7. CHAMBRONE L, PRESHAW PM, ROSA EF, HEASMAN PA, ROMITO GA, PANNUTI CM, TU Y-K. Effects of smoking cessation on the outcomes of non-surgical periodontal therapy: a systematic review and individual patient data meta-analysis. J Clin Periodontol 2013; 40: 607–15. doi: 10.1111/jcpe.12106.

8. FIORINI, T, MUSSKOPF ML, OPPERMANN RV, SUSIN C. Is There a Positive Effect of Smoking Cessation on Periodontal Health? A Systematic Review. Journal of Periodontology 2014; 85: 83-91. https://doi.org/10.1902/jop.2013.130047

9. PREBER H AND BERGSTRÖM J. Effect of cigarette smoking on periodontal healing following surgical therapy. Journal of Clinical Periodontology 1990; 17: 324-28. https://doi. org/10.1111/j.1600-051X.1990.tb01098.x

10. CHAFFEE BW, COUCH ET, RYDER MI. The tobacco-using periodontal patient: role of the dental practitioner in tobacco cessation and periodontal disease management. Periodontol 2000. 2016; 71: 52-64. doi: 10.1111/prd.12120.

11. RAMSEIER CA, SUVAN JE. Behaviour change counselling for tobacco use cessation and promotion of healthy lifestyles: a systematic review. J Clin Periodontol 2015; 42 (Suppl. 16): S47–S58. doi: 10.1111/jcpe.12351

12. Productos de tabaco y nicotina: viejos, nuevos y peligrosos para los niños. Accesible en: https://www.healthychildren. org/Spanish/health-issues/conditions/tobacco/Paginas/ Alternative-Forms-of-Tobacco.aspx

13. XU F, ABOSERIA E, JANAL M ET AL. Comparative effects of E-Cigarrete aerosol on Periodontium of periodontitis

patients. Front Oral Health 2021; 2: 729144. doi: 10.3389/ froh.2021.729144

14. HOLLIDAY R, CHAFFEE BW, JAKUBOVICS NS, KIST R, PRESHAW PM. Electronic Cigarettes and Oral Health. J Dent Res. 2021; 100: 906-13. doi: 10.1177/00220345211002116.

15. CONEJERO MERCHÁN B ET AL. Una causa infrecuente de hemoptisis. Prev Tab. 2023; 25: 127-128

16. THOMAS SC, XU F, PUSHALKAR S ET AL. Electronic Cigarette Use Promotes a Unique Periodontal Microbiome. mBio. 2022, 22: 13: e0007522. doi: 10.1128/mbio.00075-22.

17. MATA N, GALÁN I, GUIRAO H ET AL. Consumo de tabaco, consejo sanitario y actitudes frente al tabaquismo en los dentistas de la Comunidad de Madrid. RCOE 2008; 13: 131-47.

18. VILLALBI, J, SUELVES J, MARTÍNEZ C ET AL. El control del tabaquismo en España: situación actual y prioridades. Rev. Esp. Salud Publica [online]. 2019, vol.93 [citado 2024-0410], e201907044. Disponible en: <http://scielo.isciii.es/scielo. php?script=sci_arttext&pid=S1135-57272019000100014&lng =es&nrm=iso>.

19. JIMÉNEZ-RUIZ CA, RIESCO JA, RAMOS A ET AL. Recomendaciones para el tratamiento farmacológico del tabaquismo. Arch Bronconeumol 2008; 44: 213-9

20. CHAN HL, CHAN AK, CHU CH ET AL. Smoking cessation in dental setting. A narrative review on dental professional´s attitude, preparedness, practices and barriers. Front Oral Health 2023; S4:1266467. doi.10.3389/froh.2023.1266467

21. FIORE ET AL. Treating Tobacco Use and Dependence: 2008 Update. Content last reviewed February 2020. Agency for Healthcare Research and Quality, Rockville, MD. Citado en: https://www.ahrq.gov/prevention/guidelines/tobacco/index. html

22. HUGHES JR. A clinical practice guideline for treating tobacco use and dependence. Cancer J Clin 2008; 50: 147.

PROGRAMA DE CURSOS CEODONT

. Lugar de celebración: En instalaciones del edificio CEOSA. C/ Juan Montalvo, 8 . 28040 , Madrid CEOSA dispone de parking propio y gratuito.

. Inscripción y reserva de plaza: Para inscripción y reservas contacta con nosotros en el 91 553 08 80 / 680 33 83 17 o cursos@ceodont.com

Amplía información del curso que más te interese en nuestra web www.ceodont.com

Acreditaciones:

Todos los títulos propios, diplomas y certificados serán expedidos por la Universidad de Nebrija C/Juan Montalvo, 8. 28040 - Madrid - Telfs. 91 553 08 80 - 680 33 83 17 www.ceodont.com - cursos@ceodont.com

Qué leer

Esta publicación promete ser una herramienta imprescindible para profesionales de la salud dental, abordando con rigurosidad y detalle los errores más comunes en la práctica diaria y ofreciendo soluciones basadas en la evidencia científica.

—¿Qué le motivó a escribir este libro y abordar específicamente los errores habituales en la práctica dental?

—La motivación es muy diversa, pero el objetivo principal es advertir y razonar muchos de los errores que se cometen en las clínicas dentales con prácticas que no están avaladas por la Medicina basada en la evidencia. Es un libro fundamentalmente de divulgación, porque el 90% de lo expuesto son revisiones sistemáticas, metaanálisis y estudios que demuestran los

DR. CARLOS GARCÍA FAJARDO

«Cirugía Oral y Odontología. Errores habituales en la clínica»

El mundo de la Odontología y la Cirugía Oral ha encontrado un nuevo referente en la obra del Dr. Carlos García Fajardo, un destacado especialista que, con más de tres décadas de experiencia, presenta su último libro titulado «Cirugía Oral y Odontología. Errores habituales en la clínica, actualización de tratamientos, revisión de protocolos, corrección y optimización de técnicas», una obra disponible ya en la Tienda Gaceta Dental.

protocolos correctos e incorrectos en terapia dental.

Desde la perspectiva privilegiada que he tenido con muchos dentistas en los cursos que impartíamos con nuestro grupo docente, siempre observé de manera desafortunada protocolos sin ningún tipo de base científica que derivaban, irremediablemente, en graves errores. Cualquier profesional sanitario nunca debería aplicar un protocolo porque «se lo han dicho». Tiene el riesgo de que no sea correcto y se acabe asentando y transmitiendo de generación en generación. Descubrir y erradicar esta cadena de errores habituales, es el fundamento de este libro.

—¿A quién va dirigida esta publicación? —El libro está orientado, fundamentalmente, a todos los odontólogos. Pero la parte dedicada

a la Cirugía Oral, está dirigida, también, a los cirujanos maxilofaciales, porque muchos hábitos errados que se observan en las clínicas dentales son, también, habituales en Cirugía Maxilofacial, como es la profilaxis antibiótica y que está totalmente desaconsejada en cirugías limpias y pacientes sanos no inmunodeprimidos. También, hay algunos capítulos de interés para higienistas, ya que se advierte el efecto microtraumático de los cepillos eléctricos, la falsa esterilidad o la deficiente técnica de cepillado sin drenaje linfático.

—¿Qué hace que esta publicación sea tan diferente e interesante?

—Fundamentalmente, que nunca, hasta ahora, se había publicado un libro donde se expongan los errores más comunes de la especialidad y se razonasen desde la perspectiva de publicaciones basadas en la evidencia. La complejidad de revisar durante años esta ingente cantidad de estudios, ensayos y todo tipo de publicaciones... Es que no todos tienen el nivel de evidencia requerido y se desechan muchos estudios porque no todos presentan un aceptable risk of bias o riesgo de sesgo. Cuando se revisa cualquier publicación se debe ir directamente al apartado de material y método. Solo en esta descripción se puede valorar si el estudio es relevante o no, o si alcanza el nivel mínimo de RoB para concluir un protocolo con un nivel de evidencia científica suficiente.

—El título de su libro menciona «errores habituales en la clínica». ¿Cuáles son algunos de los errores más comunes que ha identificado en la práctica dental actual? —Son 30 capítulos, pero he de decir que los tres primeros están dedicados a los antibióticos. Hemos consultado centenas de fuentes a nivel mundial sobre dentistas y antibióticos y los estudios que se han publicado casi todos coinciden en la estadística: el 85% de los antibióticos recetados en las clínicas dentales son absolutamente inútiles y prescindibles. Y el error más grave, y frecuente, son las profilaxis antibióticas en extracciones e

EL LIBRO QUE TRANSFORMARÁ TU PRÁCTICA DENTAL

En este libro, el Dr. Carlos García Fajardo ha intentado plasmar la gran mayoría de los temas que suscitan más confusión y equivocaciones en la profesión dental y la manera de evitar los errores más habituales en Odontología.

Hay que destacar, también por otra parte, que en la mayoría de los libros se describen las técnicas de manera ideal, sin contratiempos ni imponderables, pero la vida está llena de pequeños detalles que hacen que no siempre todo transcurra como se prevé. Estos pequeños detalles, que se recaban tras décadas de experiencia profesional y después de haber tratado a muchos pacientes, son los que el autor, también, ha intentado exponer en este libro, con un énfasis especial en cómo prevenirlos, sin necesidad de esperar 30 años para aprender de esa experiencia.

Ficha técnica:

Título: «Cirugía Oral y Odontología. Errores habituales en la clínica, actualización de tratamientos, revisión de protocolos, corrección y optimización de técnicas».

Autor: Carlos García Fajardo.

Páginas: 480.

Tamaño: 18 × 25 × 3 cm.

implantes. ¿Alguien se ha preguntado por qué hay infecciones en las extracciones o fracasos del implante, cuando al paciente se le han recetado antibióticos? Los antibióticos, además de inútiles, son un enorme perjuicio para el paciente ya que provocan una depresión del sistema inmunológico a medio plazo y la aparición de infecciones posoperatorias una vez suprimida la pauta. Está demostrado que la Cirugía Oral sin antibióticos y con profilaxis local es más segura y más predecible, y en el libro se describe de manera detallada la microbiología y la inmunología postquirúrgica para evitar fracasos en Implantología y extracciones por infecciones. Pero, a pesar de que el plan de resistencia de medicamentos, la Agencia Nacional del Medicamento, la OMS o cientos de publicaciones nacionales e internacionales, advierten a los dentistas que cesen en la desconcertante cantidad de antibióticos que recetan y el perjuicio que provocan, se siguen recetando en España antibióticos de manera compulsiva y sin una justificación racional.

Además, por culpa del abuso de antibióticos, en 2050, según la OMS, la resistencia a los mismos será la primera causa de muerte en el mundo. Quizás a alguno esto no le parezca relevante. Yo ya tengo una edad, pero muchos de los jóvenes dentistas que hoy en día recetan antibióticos sin necesidad, algún día, morirán por esta causa. En cuanto a la manera de abordar los casos de pericoronaritis, abscesos, fístulas o pulpitis, tal y como recomiendan todas las guías terapéuticas internacionales, el tratamiento dental siempre es prioritario, en vez de los antibióticos. Y hay que hacer una mención especial, por su gravedad, a uno de los mayores dislates en las clínicas dentales y maxilofaciales que es recetar antibióticos en las alveolitis. Es un despropósito incomprensible cuando existe una técnica, que se describe en el libro, que remite el dolor de manera fulminante en tan solo una sesión de 20 minutos.

Dejando los antibióticos, otro error habitual en las clínicas es el tratamiento de la ATM. Cada vez se aplican más tratamientos inútiles y, en el mejor de los casos, paliativos, porque solo remiten el dolor de manera temporal, generando un paciente crónico que nunca se cura. En el libro se describe la terapia correcta en el dolor de la ATM para remitir el dolor de manera sencilla y definitiva.

En este libro también se cuestiona, por ejemplo, el uso de composites en clases II profundas.

¿Alguien se ha detenido a cuantificar el número de caries que ve un dentista al cabo del año debajo de los composites en clases II? Este índice tan elevado de recidivas de caries debería hacer cuestionar que este material no está indicado en este tipo de cavidades y en el libro se exponen las tres alternativas a los composites en las clases II profundas.

También son muy frecuentes los errores en prótesis fija, en tallados, en incrustaciones o en prótesis removible o completas. Y se dedica un capítulo entero al manejo correcto de AINES y corticoides y a las patologías sistémicas donde se provocan muchos problemas con los pacientes anticoagulados, los diabéticos, los antiagregados o las endocarditis. También se indica la manera correcta y rápida de

El Dr. Carlos García Fajardo forma parte de la tercera generación de odontólogos de su familia.

manejar patologías como las aftas. O cómo el dentista puede aplicar de manera sencilla la sedación consciente con medicación oral y un pulsioxímetro, sin necesidad de un anestesista.

—Es usted la tercera generación de su familia dedicada a la Odontología, ¿cómo ha influido la experiencia y la tradición familiar en la elaboración y enfoque de su libro?

—Creo que lo que más ha influido por pertenecer a una familia de médicos es interiorizar el concepto de conciencia médica. Un médico o un odontólogo, la mayoría de las veces y en general, cuando decide estudiar Odontología o Medicina, lo hace con un sentimiento de servicio público social y humanitario y jamás piensa en otros aspectos de tipo personal ni pecuniario. Esto se refleja en una dedicación plena y, por encima de todo, pensando única y exclusivamente en el beneficio del paciente.

—¿Cómo se pueden evitar los errores comunes que menciona en su obra?

—Toda persona que trabaja es susceptible de cometer errores. Cuando el error es por un imponderable surgido de manera circunstancial, se puede entender como una eventualidad imprevista. Este tipo de errores son inherentes a la práctica médica y pueden ser aceptados ética y moralmente si se cometen de manera involuntaria, accidental y muy aislada. Sin embargo, cuando hablamos de un error común y habitual, nos referimos a una práctica que se repite de manera rutinaria en el ejercicio de la profesión porque el responsable la ejecuta sin estar avalada por la literatura científica. Este tipo de error, sí es evitable, a diferencia del anterior, porque depende del grado de preparación y de la formación del profesional. Y la formación académica del profesional sanitario depende en un 90% del estudio autodidacta y de la formación personal. No es correcto culpar a las escuelas de Odontología de cualquier carencia académica. Un médico o un odontólogo debe estudiar 100 veces más después de la carrera y seguir estudiando hasta que se jubile. Es una obligación inseparable de

«El objetivo de este libro es advertir de los errores que se cometen en las clínicas dentales con prácticas que no están avaladas por la Medicina basada en la evidencia»

nuestra profesión. Y ahora le puedo asegurar que es mucho más fácil que cuando yo terminé Medicina en los años 80, donde sólo existían los libros y no existía PubMed, y tenías que tener una biblioteca de muchos metros de estanterías. Tampoco se puede estar formado de manera sólida, asistiendo solo a congresos patrocinados por la industria o por vídeos de internet. Es obligatorio el estudio de publicaciones sin conflicto de intereses y con un aceptable nivel de evidencia científica para asegurar la excelencia en el conocimiento médico y evitar los errores comunes.

—¿Qué nuevos tratamientos o técnicas se destacan en su libro?

—Casi todo lo que se expone en este libro es una revisión de varios años y cientos de publicaciones de ámbito internacional, pero hay tres capítulos que sí son tres técnicas diseñadas en nuestra clínica, y dos de ellas no se han divulgado, hasta ahora, en ninguna publicación. Son tres estudios observacionales de muchos años que aportan una nueva perspectiva en ROG, Periodoncia y periimplante.

Una de ellas se trata de una técnica simple y sencilla que aplicamos desde hace décadas en casos de periimplantitis para evitar las cirugías tan invasivas y traumáticas, con unos resultados a medio y largo plazo, superiores a la técnica resectiva convencional con colgajo. La segunda aportación novedosa del libro es una técnica de masaje y drenaje linfático mucogingival como complemento al tratamiento

¡VISITA LA TIENDA GACETA DENTAL!

Si quieres más información acerca de este libro u otros relacionados con la Odontología, ya puedes acceder a la Tienda Gaceta Dental. Aquí te esperan más de 200 títulos relacionados con la profesión odontológica.

También puedes suscribirte a nuestra newsletter para estar al día de todas las novedades editoriales del sector dental.

Además, si quieres plasmar tus conocimientos científicos y destreza en Odontología y ponerlos a disposición de tus colegas, ahora puedes publicar tu propio libro. Gaceta Dental pone a tu alcance todos sus recursos y experiencia para ayudarte a editar y publicar tu próxima obra profesional.

Contacta con nosotros y te informaremos de cuáles son las condiciones que te permitirán editar tu propio libro de contenido científico y divulgativo que sea de interés para los diferentes profesionales del sector dental. De forma rápida y sencilla podemos dar vida a tus proyectos.

Manda un email a francisco@ gacetadental.com o jorge@ gacetadental.com y te ayudaremos.

periodontal. Desafortunadamente, se está desaprovechando un potente recurso natural en la modulación y equilibrio del microbioma periodontal y periimplantario como es el sistema linfático. En el libro se describe esta técnica que mejora de manera sorprendente la evolución de la patología periodontal y periimplantaria. Y la tercera es un diseño propuesto en nuestra clínica de injerto estratificado en jeringa, para optimizar la regeneración ósea en elevaciones de seno en base a las diferentes propiedades del injerto autólogo y el xenoinjerto. Aunque esta técnica ya la publiqué por primera vez en la revista italiana Numeri Uno en 2011.

—En su opinión, ¿cuáles son los protocolos obsoletos que aún se siguen aplicando en las clínicas dentales y por qué persisten?

—Bueno, sobre este tema, yo creo que se da una desafortunada paradoja. En los últimos años, y gracias en su mayor parte a las nuevas generaciones de dentistas, se han desarrollado de manera asombrosa las nuevas tecnologías que han supuesto un impulso prodigioso en la profesión y que ha redundado en un beneficio admirable para el odontólogo, pero sobre todo para el paciente. Pero, sin embargo, la paradoja es que, al mismo tiempo, se siguen recetando antibióticos para una alveolitis, se sigue extrayendo un canino que se podría restaurar con una corona Richmond, no se sabe hacer una radicectomía o una apicectomía con endodoncia retrógrada simultánea o se le receta un corticoide a un paciente diabético o hipertenso. Este desdoblamiento de la excelencia en la formación es una sorprendente contradicción. Y si hablamos de Implantología, vemos que se desarrollan sistemas cada vez más sofisticados en los flujos de trabajo como el escáner intraoral o la cirugía guiada, pero no se profundiza en las razones por las que puede fracasar un implante. El dentista domina el software del escáner, pero, sin embargo, no se detiene en la profilaxis del proceso de cicatrización ni en la recuperación de una herida abierta contaminada. La tecnología sin biología no es suficiente, y conduce a errores y fracasos inesperados. ●

ESCANEO INTRAORAL EN CLÍNICA DENTAL

Somos especialistas en la impresión 3D de prótesis dentales de resina y metal

ENVÍO DEL ARCHIVO DIGITAL AL LABORATORIO

TECNOLOGÍA CAD / CAM DE CNC DENTAL 04

IMPRESIÓN 3D DE PRÓTESIS DENTAL POR CNC DENTAL

RESULTADO

2 gital al dí 2 a Descripción del sistema Di²gitalArch®️ 1.O y 2.O

CDR. LUIS CUADRADO DE VICENTE

MD DDS i2 Implantología Madrid.

Dr. Luis Cuadrado Canals

DDS i2 Implantología Madrid.

Dra. Cristina Cuadrado Canals

DDS i2 Implantología Madrid.

Dra. Sara Perrone

DDS i2 Implantología Madrid.

Roberto Vives

TPD Laboratorio «Dental Full Digital» Madrid.

Ignacio Montiel

TPD Laboratorio «Dental Full Digital» Madrid.

uando se trata de diseñar una prótesis de arcada completa sobre implantes y con carga inmediata es necesario transmitir al laboratorio dental toda la información para poder realizar un diseño correcto de la prótesis provisional inmediata. Se trata de obtener el mejor resultado desde el punto de vista estético y funcional con esa primera prótesis provisional fija. Por eso se ha creado la técnica Di2gitalArch®, en la que el elemento i2 servirá como estructura de referencia fija que facilite la alineación y superposición de los archivos virtuales obtenidos, mediante escáner intraoral, en diferentes situaciones clínicas de un mismo paciente.

Diseñado fundamentalmente para procedimientos de carga inmediata con un escáner intraoral, y con la finalidad de copiar o recrear la situación previa o inicial del mismo, el sistema permite la superposición de todos los archivos que contengan el elemento i2 en la misma posición espacial y obtener un

«El cirujano puede optar por dos

variantes del Sistema Di2gitalArch®:

Sistema 1.0 y Sistema 2.0.

La principal diferencia entre ambos es que el Sistema 1.0 es un sistema ideado para situaciones no quirúrgicas»

flujo de trabajo nuevo, tanto a nivel clínico como en el proceso de diseño CAD/CAM, más rápido, fácil y preciso, tanto a nivel funcional como estético.

El cirujano puede optar por dos variantes del Sistema Di2gitalArch®:

Sistema 1.0 y Sistema 2.0. La principal diferencia entre ambos es que el Sistema 1.0 es un sistema ideado para situaciones no quirúrgicas (Figuras 1-44).

SISTEMA 1.0

Está compuesto por un tornillo autorroscante de fijación de 2 mm de diámetro y de 10,5 o 12,5 mm de longitud, que se usa para fijar el scanbody Di 2 gitalArch® al maxilar del paciente y un scanbody diseñado específicamente para esta aplicación, en cuanto a sus dimensiones y morfología. Otros diseños de scanbody no han resultado plenamente efectivos ya que se trata de alinear todo un maxilar.

La unión al maxilar del paciente, aunque muy estable, no es absolutamente rígida, estable y puede ser movido ligeramente de posición con los separadores o cualquier maniobra durante la cirugía.

Por ello está indicado, al finalizar el tratamiento del paciente, durante el escaneado intraoral para copiar la información de la prótesis provisional fija y poder realizar la prótesis definitiva, especialmente en el maxilar inferior. El empleo del tornillo de Di2gitalArch® 1 está indicado en la toma de impresión digital para:

-Copia de situaciones clínicas previas para transmitir la estética y función del paciente en casos de exodoncia parciales o totales.

-En el tratamiento del edéntulo total full digital inmediato (especialmente en la prótesis definitiva).

Figura 1. El sistema Di2gitalArch.
«Cuando se trata de diseñar una prótesis de arcada completa sobre implantes y con carga inmediata es necesario transmitir
al laboratorio dental toda la información para realizar un diseño correcto de la prótesis provisional inmediata»

maxilar del paciente. Una primera fresa marca la posición elegida, la segunda fresa establece la profundidad y ensancha ligeramente la preparación. La tercera fresa establece la profundidad y diámetro correctos. Todas las fresas tienen hombro para actuar como tope y limitar la profundidad de la preparación. El implante está fabricado en titanio grado 4 y es autorroscante. El scanbody 2.0 tiene la misma geometría que el del 1.0, pero lleva acoplada una base de titanio y un tornillo pasante para su fijación al microimplante.

-Copia de mock-up y morfología dental de encerados en casos de coronas, carillas y puentes sobre diente natural.

-Copia de prótesis provisionales al archivo de trabajo para crear la prótesis definitiva.

-Copia en cirugía de rescate en Implantología.

-Copia de prótesis dentales, parciales, totales, fijas y removibles.

-Casos de cirugías y prótesis guiada en edéntulos totales (el scanbody para esta aplicación es radiopaco).

SISTEMA 2.0

Se caracteriza por la unión rígida al maxilar y la ausencia de movilidad. Está indicado en casos de cirugía de carga inmediata en arcada completa. El sistema está compuesto por un microimplante de 5 mm de longitud y diámetro de 4 mm. A través de una incisión perpendicular al reborde alveolar y mediante el uso progresivo de sus fresas, especialmente diseñadas para su colocación, se coloca en el

Su ingeniosa característica es que la conexión hexagonal, tanto la del implante como la del scanbody Di2gitalArch 2.0, se han modificado de tal manera que una faceta del hexágono se ha modificado, redondeándola.

De esta manera logramos que ambos, miniimplante y scanbody, solo encajen en una única posición y siempre, lógicamente, en la misma. Permite así desmontar el scanbody del implante después del escalado preoperatorio, realizar la cirugía sin que estorbe en las maniobras quirúrgicas y, al finalizar, volver a montarlo para realizar el escaneado posoperatorio.

Tanto los aditamentos de inserción del implante como el scanbody llevan una marca longitudinal incorporada que nos indica la posición de la faceta redondeada del implante. En la colocación debemos orientar esta marca del aditamento de inserción de CA o manual hacia el reborde alveolar y lo más perpendicular a éste. Recogeremos el implante de su vial, ya que solo admite una posición por esa faceta redondeada, lo llevaremos a la preparación y a baja velocidad procedemos a insertar el hueso receptor. Controlaremos la posición de la marca longitudinal,

orientándola correctamente. A continuación conectamos el scanbody 2.0 alineando la marca del scanbody con la posición del implante. Sentiremos perfectamente cómo se produce la conexión; fijamos el scanbody con el tornillo del scanbody y, comprobando que la conexión ha sido perfecta, realizamos el escaneado modelo de estudio preoperatorio.

Antes de comenzar la cirugía desconectamos el scanbody para volver a conectarlo al finalizar la misma después de colocar los scanbodies sobre los implantes recién colocados.

Realizaremos así el escaneado postoperatorio y lo enviaremos al laboratorio dental.

En este momento, después de desconectar el scanbody 2.0, podemos optar por dejar el implante colocado en el maxilar, cerrándolo con su tornillo de cierre, o retirar el miniimplante.

En el caso que optemos por dejarlo colocado, en el futuro, siempre que coloquemos de nuevo el scanbody, ocupará la misma posición y orientación iniciales, permitiendo así superponer todos los archivos desde el modelo de estudio preoperatorio. ●

Figura 2. El sistema 1.0.
Figura 4. Medidas del tornillo 1.0.
Figura 3. Tornillo de fijació n 1.0.
Figura 7. Miniimplante 2.0.
Figura 8. Scanbody 2.0.
Figura 9. Acople entre los dos elementos 2.0.
Figura 10. Caja quirú rgica para 1.0 y 2.0.
Figura 5. Scanbody 1.0.
Figura 6. Sistema DigitalArch 2.0.

MULTI-UNITmini

Nuevo pilar transepitelial estrecho diseñado para la lucha contra la periimplantitis gracias a la mejora del espacio biológico supracrestal.

PLATAFORMA

REDUCIDA 3,8 mm.

DISEÑO ESTRECHO

Mejora la cantidad de fibras de colágeno, incrementando la vascuralización del sellado mucoso.

GEOMETRÍA EXTERNA

Convergente hacia coronal.

Favorece la migración en esa dirección de los miofibroblastos presentes en el tejido conectivo. 1,5 2,5 3,5 4,5 5,5 6,5

BIOGOLD

Recubrimiento de superficie biocompatible.

Titanio 6AL-4V. Grado 5. (Alta resistencia).

Dispone de librería para Ti-base y pilar provisional.

Disponibles en diferentes Alturas desde 1,5mm. hasta 6,5mm. para:

STRAUMANN® BONE LEVEL® Interna NC 3,3

BIOHORIZONS® TAPERED® Hexágono Interno 3.0 I 3,5

MIS SEVEN® Hexágono Interno NP3,30 I SP 3,75 /4,20

NOBEL BIOCARE® NOBELACTIVE® Interna Activa NP 3,5/3,75

OSSTEM® TS/ HIOSSEN® ET Cónica Interna MINI

BIOMET 3i® CERTAIN® Hexágono Interno “Click” NP3,4

BTI® Interno Tetralobular Interno NP3,5

ZIMMER® SCREW-VENT® Hexágono Interno NP 3,5

ASTRA® TECH OSSEOSPEED® Cónica Interna Yellow 3,0 I Aqua 3,5/4,0

Figura 11. Rx preoperatoria.
Figura 12. Escaneado modelo de estudio.
Figura 13. Situación intraoral preoperatoria.
Figura 14. Incisión para Di2gitalArch 2.0.
Figura 15. Primera fresa Di2gitalArch 2.0.
Figura 16. Resultado.
Figura 17. Fresa fina Di2gitalArch 2.0.
Figura 18. Fresado.
Figura 19. Resultado.
Figura 20. Miniimplante Di2gitalArch 2.0.
Figura 21. Colocado y orientado.
Figura 22. Scanbody Di2gitalArch 2.0.
Figura 23. Fijación por tornillo pasante.
Figura 24. Vista caudal.
Figura 25. Vista AP.
Caso clínico.
Figura 28. Colocaci ó n de i mplantes Ziacom Galaxy.
Figura 29. Implante distal Galaxy.
Figura 30. Orientaci ó n man ual de la conexi ó n.
Figura 31. Implante Galaxy anterior.
Figura 32. Implantes Galaxy colocados.
Figura 33. Pilares MU Ziacom colocados.
Figura 27. Informaci ó n ge ométrica.
Figura 26. Escaneado con Di2gitalArch 2.0.

scanbodies de implantes y

Figura 36. Scanbody Di2gitalArch 2.0 reposicionado.
Figura 37. Escaneado intraoral con
Di2gitalArch 2.0.
Figura 38. Paso opcional retirando el miniimplante Di2gitalArch 2.0.
Figura 39. Escaneado final bimaxilar.
Figura 40. Prótesis provisional fresada en Telio CAD.
Figura 41. Estética con la prótesis provisional al finalizar el procedimiento en el día.
Figura 35. Scanbodies para MU.
Figura 34. Pilar angulado para los implantes distales.

¡CONSIGUE EL LIBRO DEL DR. LUIS CUADRADO DE VICENTE EN LA TIENDA GACETA DENTAL!

Figura 43. Resultado del tratamiento bimaxilar en el dí a.
Figura 42. Vista oclusal.
Figura 44. Radiología inmediata.
Caso

Informe Flujo de trabajo preciso para la reproducción cerámica

Sin renunciar a nada

La visión en color es una percepción sensorial subjetiva que depende de las condiciones cromáticas y lumínicas del entorno. Por este motivo diseñé una estrategia para objetivizar al máximo la determinación del color dental, que establece no solo el color de la sustancia dental dura en el entorno directo de la restauración, sino también de manera sistemática el color del muñón tras la preparación, para que el efecto cromático de las restauraciones de cerámica integral sea lo más predecible posible. Mi concepto incluye tanto el estándar de color VITA SYSTEM

3D-MASTER, que reproduce íntegramente el espacio de color dental, como materiales dentales que reflejan con precisión el resultado de su determinación del color dental. Si se determina un color 2M1, este color debe reproducirse también en el material de la estructura y en la cerámica de recubrimiento. En el siguiente caso clínico, muestro cómo logro un alto grado de estética personalizada mediante mi concepto

y los materiales cromáticamente fieles VITA AMBRIA y VITA LUMEX AC (ambos de VITA Zahnfabrik, Bad Säckingen, Alemania).

CASO CLÍNICO

Un paciente de 42 años acudió a la clínica porque estaba insatisfecho con el aspecto de su zona estética. Durante el examen clínico se observó una corona de VMK insuficiente con márgenes escasos en el diente 11 (Figura 1). La morfología de la corona no encajaba en la imagen global y el recubrimiento cerámico era inexpresivo. El diente 21 estaba fracturado por incisal y la zona de la rotura estaba cubierta solo con composite de obturación.

Tras un asesoramiento exhaustivo, se decidió tratar el diente 11 con una corona de cerámica integral y el diente 21 de manera mínimamente invasiva con una carilla (Figura 2). Las estructuras de soporte debían prensarse a partir del disilicato de litio reforzado con dióxido de circonio VITA AMBRIA, a fin de obtener una base cromáticamente fiel, precisa y expresiva para

LUIS MIGUEL

la personalización mediante la cerámica de recubrimiento universal y cromáticamente armonizada VITA LUMEX AC.

Pasos clínicos y determinación del color dental

Tras anestesia local, se prepararon en consecuencia los dos incisivos centrales. A continuación, se procedió a una meticulosa determinación del color dental tanto digital, mediante el espectrofotómetro VITA Easyshade V, como analógica, con la guía de colores VITA Linearguide 3D-MASTER. En el proceso se determinaron también de forma sistemática los colores de los muñones y se documentó fotográficamente la situación clínica con las varillas de colores seleccionadas, con y sin filtro de polarización (Figura 3). Debido a la decoloración en el muñón de la corona 11, se seleccionó el color VITA AMBRIA T 1M1 para compensarla con una mayor claridad. Para la superficie de preparación no decolorada en el diente 21 se utilizó el color VITA AMBRIA T 2M2, que se correspondía con el color dental determinado. Se tomó la impresión de las preparaciones y sobre esta base se confeccionó un modelo maestro en el laboratorio (Figura 4).

Las estructuras de la restauración se crearon en cera sobre los muñones de yeso. Una vez que se hubieron completado por separado la colocación de los jitos, la puesta en revestimiento y la calcinación, se prensaron sucesivamente ambas estructuras.

Gracias a la capa de reacción casi inexistente, pudo retirarse con rapidez el revestimiento, tras lo cual se observaron unas superficies homogéneas y unos márgenes de la restauración afilados.

Figura 1. Situación de partida con corona de VMK en el diente 11 y zona incisal fracturada en el 21.
Figura 2. Situación clínica tras la preparación para corona completa en el diente 11 y la preparación para carilla en el 21.

Resultado de la cocción idéntico a la estratificación

La cocción wash se llevó a cabo sobre las estructuras con VITA LUMEX AC POWERWASH altamente fluorescente, para igualar con el color dental básico requerido los diversos efectos de translucidez de las diferentes estructuras de soporte (Figura 5). De este modo no se pierde la intensidad cromática de la cerámica de recubrimiento, aunque se utilicen estructuras más translúcidas, como en el caso de la carilla en el diente 21. La cocción wash en la estructura más delgada de la carilla se llevó a cabo con POWERWASH LL2 más cromático. Para la estructura de corona en el muñón decolorado del diente 11, la cocción wash se llevó a cabo con POWERWASH LL0 menos cromático, y solo se utilizó el LL1 más cromático en la zona de los flancos y del borde incisal, carentes de apoyo dental directo. Tras esta armonización en la profundidad, se completó en pocos pasos la estratificación del núcleo de dentina y de las porciones de esmalte

de manera estable a la cocción, y se procedió del mismo modo al acabado de ambas restauraciones (Figura 6)

Dos tipos de restauración, una reproducción

Después de la prueba clínica en boca satisfactoria, se colocaron definitivamente ambas restauraciones mediante el VITA ADIVA FULL-ADHESIVE LUTING SET (Figura 7). En la carilla se utilizó un composite translúcido y en la corona, un composite blanquecino para el enmascaramiento. Gracias a la cerámica de recubrimiento VITA LUMEX AC, rica en matices y armonizada con el color dental determinado, pudo solucionarse un caso complejo sobre estructuras de soporte cromáticamente fieles y expresivas confeccionadas a partir de la cerámica prensada VITA AMBRIA, de gran precisión. Con una aplicación muy fina en la profundidad, los materiales altamente fluorescentes POWERWASH permitieron igualar

Figura 3. La documentación de las varillas de colores sin reflexiones de luz con filtro de polarización.
Figura 4. En el laboratorio se confeccionó un modelo maestro para crear las estructuras de restauración en cera.

7.

el efecto cromático mediante la compensación de los diferentes colores de muñón y grados de translucidez de las estructuras. La estabilidad -que facilita el uso- y la excelente estabilidad a la cocción de los materiales cerámicos garantizaron un flujo de trabajo eficiente. La superficie cerámica

Figura 5. Debido a las diferencias en el color del muñón y el grado de translucidez, se igualó el efecto cromático en la profundidad con ayuda de los materiales VITA LUMEX AC POWERWASH. A continuación, se completó del mismo modo la estratificación.

Figura 6. Ya en el modelo, los diferentes tipos de restauración presentaban un aspecto absolutamente natural.

8. Un flujo de trabajo en el que no hubo que renunciar a nada había conducido a un resultado del tratamiento altamente estético.

homogénea posibilitó un acabado y pulido sencillos, para simular en última instancia la compleja refracción de la luz de la sustancia dental dura natural. Tanto el paciente como el odontólogo quedaron absolutamente satisfechos con el resultado final, en el que no hubo que renunciar a nada (Figura 8). ●

Figura
Tras la colocación completamente adhesiva, las restauraciones se integraron de forma realista en la sustancia dental dura natural.
Figura

Protagonistas

DR. JOSÉ NART

Presidente de SEPA y catedrático de Periodoncia por UIC Barcelona

Su pasión por la Periodoncia y su dedicación docente, investigadora y clínica le han llevado a situarse como uno de los referentes en este campo. Una especialidad que espera «ver reconocida en un futuro próximo y que es clave para ejercer una buena Odontología, adquiriendo un carácter más interdisciplinar si cabe».

Dr. Nart, recientemente ha tomado posesión como catedrático del Área de Periodoncia de la Facultad de Odontología de UIC Barcelona. ¿Qué siente al llegar al grado más alto posible a nivel docente?

—Una gran satisfacción. Supone un reconocimiento profesional muy relevante a mi dedicación docente, investigadora y de gestión de equipo durante más de 15 años. A mis 45 años, me siento muy gratificado personalmente y colmado académicamente.

—¿Qué importancia tiene para usted haber sido evaluado por un tribunal compuesto por figuras destacadas como los profesores Lluís Giner, Mariano Sanz, Javier Gil, Conrado Aparicio y Jaime Gil?

—No sólo son excelentes profesionales, sino que también son amigos. Repasar mi trayectoria académica de la mano de otros 4 destacados catedráticos y del decano de mi Facultad de Odontología fue muy especial y me generó mucha satisfacción. Me vuelvo a emocionar sólo de recordar el acto oficial de toma de posesión de la Cátedra. Estuve muy emocionado y no lo olvidaré jamás.

—En la toma de posesión impartió una lección magistral titulada «Periodoncia e implantes en el 2024. ¿En qué hemos contribuido?». Le hago la misma pregunta: ¿Cuáles han sido algunas de las contribuciones más significativas que usted y su equipo han realizado en el campo de la Periodoncia e implantes dentales durante los últimos 15 años?

—Destacaría nuestras publicaciones en el tratamiento de las patologías periimplantarias y en la terapia mucogingival e implantológica. Investigaciones y publicaciones que han mejorado y mejoran a clínicos a nivel internacional y, de esta forma, también mejoran a sus pacientes.

—Como docente de las nuevas generaciones de dentistas, y recientemente, como catedrático, ¿qué consejos les suele dar

«La Periodoncia es clave para ejercer una buena Odontología, desde el diagnóstico hasta mantener los resultados del tratamiento a largo plazo»

a sus alumnos para su vida académica y profesional?

—Lo mejor que se puede hacer en estos casos es formales, darles toda la información que necesitan, y también procuro transmitirles mi interés, emoción y enamoramiento por esta área de conocimiento odontológico. Estoy muy orgulloso de haber influido y formado a muchos jóvenes profesionales de la Periodoncia y Odontología, de nuestras contribuciones científicas y de haber generado un equipo de trabajo en UIC-Barcelona con un futuro muy prometedor. Si yo fuera decano de una facultad de Odontología, no dudaría en aumentar la carga lectiva en Periodoncia para mis alumnos y así prepararlos excelentemente para las necesidades actuales de los pacientes.

—Además de su faceta docente, desde hace dos años asume la presidencia de la Sociedad Española de Periodoncia y Osteointegración (SEPA). ¿Qué valoración hace, hasta ahora, de su paso al frente de la entidad?

—Estoy muy orgulloso y satisfecho con el trabajo desarrollado en SEPA. Esta sociedad científica ha sido una parte muy importante de mi carrera profesional. Desde 2013 tengo una estrecha vinculación con ella.

SEPA es una fuente inagotable de recursos formativos, divulgativos y de actividad científica, además del foro ideal para el intercambio de conocimiento riguroso y basado en la evidencia científica.

Por eso, aconsejo a los jóvenes que aprovechen las oportunidades que SEPA brinda para mejorar y actualizar su formación.

De
«En un futuro veremos cómo la digitalización mecaniza la profesión y también avances significativos en la regeneración ósea»

—Precisamente, en una entrevista que le realizamos por entonces, detalló que le gustaría que «la Periodoncia tuviera el protagonismo que la salud requiere y del que nos beneficiamos todos». En estos dos años, ¿se ha avanzado positivamente? ¿queda mucho camino por recorrer?

—Estamos dando pasos importantes en este sentido, y creo que avanzamos en la línea correcta. A veces te gustaría que los cambios y progresos fueran más ágiles, pero siempre es complicado conseguir grandes objetivos. En SEPA trabajamos con ahínco, confianza y creatividad para hacer llegar la Periodoncia a todos.

—No cabe duda del papel tan relevante que SEPA ha desarrollado en estos últimos años tratando de acercar la Periodoncia al paciente, por un lado, y, por otro, vinculando la Periodoncia (y la Odontología) a otras especialidades médicas en beneficio de profesionales sanitarios y, especialmente, del paciente. ¿Qué logros se están alcanzando gracias a este trabajo de SEPA?

—Lo más importante que estamos realizando es, sin duda, la concienciación social y profesional de la relevancia que tiene la periodontitis a nivel bucal y sistémico. Los impactos, saber que estás llegando a los medios de comunicación de gran alcance o generalistas, son muchos y frecuentes, especialmente aquellos que hacen referencia a las consecuencias de la inflamación crónica.

—En el ámbito de la investigación su trabajo se ha centrado, sobre todo, en el diagnóstico, la prevención y el tratamiento de las enfermedades periodontales y periimplantarias; y en las técnicas quirúrgicas, morbilidad y biomateriales. ¿Qué hallazgos

izda. a dcha.; los Dres. Conrado Aparicio, Lluís Giner, José Nart, Javier Gil, Mariano Sanz y Jaime Gil.

o avances recientes destacaría como más prometedores para mejorar los resultados clínicos en pacientes?

—Más allá de las técnicas de mínima invasión y avances en biomateriales y métodos de descontaminación, lo más prometedor es el cambio filosófico, la forma de tratar basada en el valor que percibe el paciente respecto a lo que le hacemos (PROMS), en la que, por supuesto, toda propuesta de menor invasión y mejor coste-beneficio es superior. Nuestros tratamientos deberían tender a no comprometer la vida de las personas.

—¿Qué avances tecnológicos o científicos espera ver en este campo de la Odontología?

—Vamos a ver cómo la digitalización mecaniza la profesión y también avances significativos en la velocidad de regeneración ósea. Asimismo, veremos cada vez más guías de práctica clínica rigurosas que estandaricen el tratamiento de las patologías bucales, basadas en la evidencia científica.

—No nos olvidemos también de su faceta clínica, ¿qué le aporta a nivel personal y profesional el tiempo en la consulta?

—Para mí es fundamental. Este trabajo con los pacientes es lo que más satisfacciones me ofrece y lo que justifica mi interés por seguir aprendiendo y por mantenerme

constantemente actualizado en conocimientos teóricos y prácticos. Sin duda, la clínica me permite completar mi vida profesional. Desde hace años yo expresaba el anhelo de cumplir muchos sueños profesionales, que ahora he podido alcanzar: ser catedrático de Periodoncia, presidir SEPA y compartir con mi familia una clínica dental de referencia.

—¿Cuál de todos los palos que toca dentro de la Odontología le satisface más?

El Dr. José Nart, en su toma de posesión como catedrático del Área de Periodoncia de la Facultad de Odontología de UIC Barcelona.

—Lo que me apasiona es poder combinar las tres ramas: investigación, docencia y clínica. El poder dedicar parte de mi semana a la docencia, a mejorar a las nuevas generaciones y transmitirles lo que investigamos o a hacer investigación clínica dando respuestas a la búsqueda de la verdad, me hace sentirme muy pleno, muy lleno profesionalmente. No obstante, nos falta todavía por entender y descubrir y luego poder aplicar todo esto a los pacientes en la clínica privada. Así que, esa combinación de las tres facetas, es lo que realmente me gusta.

—Para terminar, ¿qué oportunidades visualiza para el futuro de la Periodoncia? ¿Es optimista sobre ese futuro?

—Visualizo a la Periodoncia como especialidad, reconocida en España en un futuro próximo, y también adquiriendo un carácter más interdisciplinar si cabe, reconociendo las otras disciplinas de la Odontología y su importancia en la salud del paciente.

Para mí, la Periodoncia es clave para ejercer una buena Odontología, desde el diagnóstico hasta mantener los resultados del tratamiento a largo plazo. ●

PUBLICACIONES DE INTERÉS

En su faceta como investigador, el Dr. José Nart es autor de más de 130 artículos científicos JCR (Journal Citation Reports) en Periodoncia e Implantes, entre los que destacan, especialmente, los siguientes:

1. Resultados terapéuticos no quirúrgicos de la periimplantitis: resultados a los 12 meses. Nart J, Pons R, Valles C, Esmatges A, Sanz-Martín I, Monje A. Clin Oral Investig. 2020 Feb; 24 (2): 675-682. doi: 10.1007/s00784-019-02943-8. Epub 2019 May 23. PMID: 31123873.

2. Se destaca la asociación entre periodontitis y presión arterial en individuos sistémicamente sanos: resultados de un estudio de casos y controles anidados. Muñoz Aguilera E, Suvan J, Orlandi M, Miró Catalina Q, Nart J, D’Aiuto F. Hypertension. 2021 May 5; 77 (5): 1765-1774. doi: 10.1161/HYPERTENSIONAHA.120.16790. Epub 2021 Mar 29. PMID: 33775115

3. Resultados clínicos y factores asociados en el tratamiento de la mucositis periimplantaria, combinando desbridamiento mecánico y modificación de prótesis: una serie de casos prospectivos de seguimiento de 30 meses. de Tapia B, Bonnin M, Valles C, Mozas C, Herrera D, Sanz M, Nart J. J Clin Periodontol. 2022 Dec; 49 (12): 1357-1365. doi: 10.1111/jcpe.13711. Epub 2022 Aug 26. PMID: 36054620

4. Efecto del espesor de la mucosa periimplantaria sobre los resultados estéticos y la eficacia de los procedimientos de aumento de tejidos blandos: informe de consenso del grupo 2 del taller SEPA/DGI/OF. Jung RE, Becker K, Bienz SP, Dahlin C, Donos N, Hammächer C, Iglhaut G, Liñares A, Ortiz-Vigón A, Sanchez N, SanzSánchez I, Thoma DS, Valles C, Weng D, Nart J. Clin Oral Implants Res. 2022 Jun; 33 Suppl 23 (Suppl 23): 100-108. doi: 10.1111/clr.13955. PMID: 35763020

5. Influencia de la superficie del cuello del implante y la profundidad de colocación en los cambios del hueso crestal alrededor de implantes con plataforma cambiada: un estudio clínico y radiográfico en perros. Valles C, Rodríguez Ciurana X, Nart J, Santos A, Galofre M, Tarnow D. J Periodontol. 2017 Nov; 88 (11): 1200-1210. doi: 10.1902/jop.2017.170192. Epub 2017 Jul 14. PMID: 28708038

6. Injerto de tejido conectivo subepitelial en combinación con técnica de túnel para el tratamiento de recesiones gingivales de clase II y III de Miller en incisivos mandibulares: resultados clínicos y estéticos. Nart J, Valles C. Int J Periodontics

Restorative Dent. 2016 Jul-Aug; 36 (4): 591-8. doi: 10.11607/prd.2748. PMID: 27333018

Mejorando sus flujos de trabajo a través de la innovación

Periodoncia

Con su amplia gama de productos de alta calidad, ACTEON® apoya a los profesionales durante todos los tratamientos periodontales para garantizar la comodidad y seguridad de los pacientes gracias a tratamientos precisos dentro del flujo de trabajo de periodoncia.

Excelencia y vanguardia en el sector odontológico: fotografía presente y diagnóstico futuro

La necesidad de la formación continua, la inmersión en un mundo cada vez más tecnológico, la importancia de la supervisión profesional en los tratamientos y el manejo adecuado de las expectativas del paciente son temas que afectan directamente a los profesionales de la Odontología de nuestros días. Pero, ¿cómo viven estos retos y desafíos sus protagonistas?

De izda. a dcha.; el Dr. Juan Carlos Pérez Varela, la Dra. Clara Esteban, el Dr. Alberto Cuevas, Agathe Boulanger y el Dr. José Ferreras.

La Odontología española goza de un gran prestigio, un alto nivel de excelencia alcanzado gracias a sus profesionales, con su apuesta constante por la formación continua y la digitalización de sus clínicas. Todo ello con el objetivo principal de ofrecer la mejor calidad asistencial a sus pacientes. Pero, ¿cuáles son las claves para seguir ese camino de la excelencia?, ¿cómo es «la nueva profesión» que ha dibujado la digitalización? y ¿cómo abordar los retos a los que se enfrentan los profesionales del futuro?

Para dar respuesta a estas cuestiones, y para aportar pautas de

«La formación reglada, de calidad y controlada es la que va a hacer que toda la profesión crezca»

cómo ser más sostenibles en la clínica o cómo manejar las expectativas de un paciente cada vez más informado y participativo, reunimos a cinco profesionales de la Odontología, en un encuentro organizado por Gaceta Dental y patrocinado por MAEX. En concreto, acudieron a la cita los doctores José Ferreras, Alberto Cuevas, Juan Carlos Pérez Varela y Clara Esteban, además de Agathe Boulanger, H ead of Sales Allisone, uno de los socios tecnológicos de MAEX.

EXCELENCIA: CLAVES PARA MEJORAR LA PRÁCTICA CLÍNICA Y EL VALOR DEL EQUIPO

Con la pregunta, ¿cuáles son las claves esenciales para conseguir una

«Formación, buenos protocolos, rigor y disciplina. Esas son las claves para una práctica clínica de éxito»
Dr. Juan Carlos Pérez

práctica odontológica excelente? se abrió el debate en la Torre Emperador de Madrid. «Formación, buenos protocolos y, por supuesto, rigor y disciplina para que todo funcione de la manera adecuada» son los pilares esenciales para una práctica clínica de éxito, apuntó el Dr. Juan Carlos Pérez Varela.

Una respuesta que, de inicio, puso sobre la mesa uno de los caballos de batalla de la profesión desde hace años, el reconocimiento de las especialidades oficiales: «Debería haber una ley de especialidades en

Odontología, porque la formación reglada, de calidad y controlada es la que va a hacer que toda la profesión crezca y tengamos unos estándares de alta calidad».

De acuerdo se mostró el Dr. Juan Carlos Pérez Varela, quien explicó que «es muy importante que los 40.000 dentistas que hay en España se formen y tengan formación continuada, porque la Odontología evoluciona tan rápido que, en dos años, te quedas totalmente obsoleto». En cuanto a la creación de las especialidades oficiales, el Dr. Pérez Valera apostilló que «estamos más cerca que nunca y esto va a cambiar totalmente la forma de trabajar».

Y es que, el pasado mes de abril, seis sociedades científicas de Odontología de España, junto con el Consejo General de Dentistas y la Conferencia de Decanos de Facultades de Odontología, elaboraron un documento conjunto en el que solicitaban la creación de las especialidades oficiales odontológicas, al igual que existen en otros países europeos. «Ya hemos cubierto todos los anexos que pide el Ministerio de Sanidad. Cuando tengamos los avales por parte de las comunidades autónomas, podremos mandar la documentación al Ministerio para que nos digan qué especialidades se van a poner en marcha. A partir de ahí va a haber una Comisión Nacional, como la que hay en el sistema MIR, y se podría crear la figura del Dentista Interno Residente (DIR)», comentó el Dr. Juan Carlos Pérez Varela, quien añadió: «La Comisión Nacional deberá dictaminar qué centros van a formar y cuántos van a formar. Si tú no cumples una serie de requisitos, como un ratio profesor-alumno, unas instalaciones y

Pecket Academy es el único sistema de gestión integral de cursos dirigido a centros de formación y colectivos profesionales.

Es un producto robusto, sencillo, llave en mano, y preparado para funcionar desde el primer momento. Una herramienta que se adapta a cualquier necesidad.

Permite gestionar y comercializar acciones formativas (cursos, formaciones, jornadas, presentaciones, coloquios, etc.)

Descripción del curso, establecimiento de precio y condiciones especiales. Establecimiento de límite de alumnos.

Experiencia de cliente y desarrollo de soluciones a medida: nuestra última razón de ser.

Síguenos en RRSS:

Creación ilimitada de acciones formativas. Selección de fecha de inicio y fin de curso.

Permite gestionar informes estadísticos en tiempo real. Control de Asistencia.

«Con la tecnología podemos hablar de precisión, seguridad, rapidez y comunicación»

Dr. Alberto Cuevas

un número de pacientes determinado, no vas a poder formar. Esto va a transformar totalmente el panorama de la formación en España».

Pero, ¿cumplen con este compromiso de formación todos los profesionales del sector? «Hay algunos que van a muy pocos congresos o se actualizan muy poco, y hay diversas razones. Yo lo hablo con alumnos de la facultad. Muchos de ellos se meten a estudiar Odontología y no tienen muy claro por qué… Algunos tienen la idea de que el dentista gana mucho dinero; otros no entran a Medicina y apuestan por Odontología… Entonces,

hablamos realmente de una falta de motivación, algo que no ocurría en nuestra generación. Otros factores contraproducentes a tener en cuenta es el exceso de formación que existe y que, aunque parezca paradójico en los tiempos que corren, muchos alumnos no saben dónde buscarla», detalló el Dr. Pérez Varela.

No obstante, gran parte del colectivo profesional sí que realiza una apuesta firme por la formación, a tenor de los buenos especialistas que existen en el ámbito nacional, destacaron los miembros de la mesa de debate. Y, aunque la especialización es necesaria, la tendencia hacia una Odontología más interdisciplinar demanda perfiles más completos. «Hoy en día, para nosotros, lo más difícil es encontrar profesionales que tengan conocimiento de todas las disciplinas y que manejen una buena planificación. Un profesional que desde el principio sea capaz de tener una visión integradora e interdisciplinar, que además enriquezca a todo el equipo. Se trata de alguien que aporte no solamente su propio valor, sino que sepa despertar o fomentar el valor de todos los que están a su alrededor. Es cierto que encuentras muy buenos especialistas en todas las disciplinas de la Odontología, pero es difícil encontrar a alguien que, terminada la carrera, se haya preocupado por hacer inmersiones potentes en cada una de las disciplinas para tener una visión interdisciplinar del paciente desde el principio», destacó el Dr. Alberto Cuevas.

«Es fundamental hacer formación, pero también es importante que, aparte de acudir a congresos o realizar cursos, estés al lado de una persona que sí que tiene esa

experiencia y ver cómo trabaja», apuntó la Dra. Clara Esteban.

También reivindicó la figura del generalista el Dr. José Ferreras: «Cada plan de tratamiento es único, en función de los ojos de quien mira. Por eso es tan importante la figura del odontólogo general, porque éste tiene una visión de conjunto y puede llegar a un plan de tratamiento adecuado para el paciente, ayudado con los consejos o pautas de cada especialista. Yo, por ejemplo, veo un paciente que viene a rehabilitarse y sé cuál es el camino más adecuado. Eso requiere de comunicación y de una sesión clínica con los miembros del equipo en la que se elabore un plan de acción en el que todos estemos de acuerdo. Sin embargo, es una situación que no se ve de forma frecuente en las clínicas. Soy un defensor del odontólogo general. Creo que es imprescindible, sobre todo porque yo, que soy un especialista más, creo en la gran importancia del centro integrador de todo dentro de las clínicas». Por este motivo, explicó, «en mi equipo busco gente integradora. Gente que atienda bien a los pacientes, que trate bien, que sepa trabajar en grupo. Gente que tenga al paciente en el centro de mira y no venga solamente a hacer caja. Gente que quiera aprender», destacó el Dr. Ferreras.

Un perfil del profesional ideal, actualmente, al que el Dr. Juan Carlos Pérez Varela completó con otro requisito más: tener buena actitud. «A mí no me gusta tener en mi equipo a una persona sin una actitud integradora, positiva o ganas de mejorar. El que tiene mucha formación, pero no tiene actitud, te crea mal ambiente y no genera nada.

«La integración de los datos médicos clínicos de los pacientes ayudaría a hacer diagnósticos más adecuados. Hay que trabajar más este aspecto»
Dr. José Ferreras

Por eso, con el paso de los años, para mí es tan importante trabajar tanto la formación como la actitud».

En definitiva, detalló el Dr. Alberto Cuevas, «podemos hablar de formación, de actitud y de compromiso en nuestros profesionales. Gente que celebre los éxitos y logros conseguidos, y que esté comprometida con los valores, metas y desafíos de la empresa en la que nos encontramos».

¿LA ERA DEL PACIENTE?

La comunicación está claro que ha mejorado a todos los niveles gracias a la tecnología. Entre el equipo de la consulta, entre clínica y laboratorio, entre clínica y paciente… Pero, en este último caso, y ante el exceso de (des-) información a través de canales no siempre adecuados, los pacientes han ido adquiriendo un papel cada vez más participativo en los tratamientos.

Algo que, si no está bien gestionado, puede ocasionar al clínico auténticos quebraderos de cabeza. «Lo primero que debes hacer es deshacer toda la falsa información que pueda traer consigo el paciente y que implica tiempo y desgaste profesional del equipo. Hay que dar una información honesta al paciente. Hay pacientes que acuden a ti porque, teniendo mucha información, no saben de qué fiarse y de qué no. Ese es el paciente ideal al que tú puedes ayudar y ganarte su confianza. Pero hay ciertos pacientes que son problemáticos, que llegan pidiendo el tratamiento que consideran que han visto y que vienen de una información o una desinformación que nos hace trabajar muchísimo y donde una buena comunicación, basada, insisto, en la honestidad es fundamental», explicó el Dr. Alberto Cuevas.

Una situación con la que también coincidió el Dr. José Ferreras, quien manifestó: «La percepción que tú tienes y la que tiene el paciente es diferente, por lo que a veces no le puedes ayudar. Es una cuestión, incluso, de su propia imagen corporal. Entonces, tu labor cuando un paciente percibe algo que es diferente o quiere un tratamiento determinado que es diferente a lo que tú puedes hacerle, hay que intentar llevarle, de buenas maneras, por el camino que tú consideras. Pero no debemos caer en que, como el paciente lo pide, se lo voy a hacer. Hablamos de su salud».

Sobre las razones del cambio que ha experimentado el sector en los últimos años a nivel generacional, el Dr. Cuevas consideró que se trata de una evolución natural. «Nosotros terminábamos y teníamos que ir formándonos en cada una de las disciplinas porque teníamos que abarcar todas y porque trabajábamos solos. Ahora, creo que tenemos un gran desafío para crear, entre todos, una visión y una actuación integral con esa máxima especialización de equipo».

TECNOLOGÍA: MEJORES TRATAMIENTOS, MEJOR EXPERIENCIA DE PACIENTE

Unos desafíos que también abre el uso de la tecnología, cuyas herramientas e innovaciones han pasado a ser elementos clave y necesarios en las clínicas excelentes. A la pregunta de qué ha supuesto la digitalización para la práctica clínica, el Dr. José Ferreras lo tiene claro: «Para mí, precisión y capacidad de poder mostrar al paciente lo que se puede llegar a conseguir. Nos permite diagnosticar y ejecutar mejor, y poder trabajar de una forma customizada, sin ningún tipo de dificultad».

«Con la tecnología podemos hablar de precisión, seguridad, rapidez y comunicación. Al final, es la implementación de una cantidad de mejoras orientadas al paciente. Aparecen nuevas indicaciones, nuevos materiales… Si a eso, además, le metes la integración en la gestión de equipo y en la gestión de procesos, es un cambio paradigmático», detalló el Dr. Alberto Cuevas.

Una opinión que compartió Agathe Boulanger, quien subrayó que «la tecnología es una aliada

¡Novedad editorial disponible en la Tienda Gaceta Dental!

Una obra maestra esencial para todo profesional de la

Periodoncia

Con una narrativa clara, respaldada por imágenes, el autor ilustra de manera detallada los cinco componentes esenciales del tratamiento y cómo gestionarlos con éxito en la práctica clínica contemporánea.

Organiza:
Impulsa:
«Además de asistir a congresos o realizar cursos, una formación excelente pasa por estar al lado de profesionales con experiencia para ver cómo trabajan»
Dra. Clara Esteban

para el doctor y la clínica dental. No solo nos aporta más precisión, sino que asegura mejores procesos y protocolos, y nos permite ahorrar tiempo en tareas que son de muy poco valor añadido para los doctores y para el equipo dental, como los calendarios de visitas y citas».

«Al final, lo que nos permite es tener más tiempo de comunicación con el paciente o más tiempo para el paciente, que realmente es de lo

que se trata», destacó el Dr. Alberto Cuevas.

A pesar de las bondades del uso de la tecnología en la clínica, la figura del profesional es la esencia de la ecuación. «El que tiene que diagnosticar es el profesional, apoyado en todas las herramientas e información que nos da cada una de ellas, pero no tienen que ser las herramientas las que nos diagnostiquen. No se puede sustituir el conocimiento del profesional», reivindicó el Dr. José Ferreras.

Para Agathe Boulanger, «la tecnología nos ayuda a hacernos mejores, pero no impide, obviamente, que el doctor tenga que meterse en boca y averiguar. Lo que sí es cierto es que, con análisis, hechos y estudios clínicos, un doctor con un software de inteligencia artificial es mucho mejor que un doctor sin inteligencia artificial, porque hay un factor humano que puede dar lugar a errores: el cansancio, la experiencia o cualquier cosa que pueda influir en el día a día de un doctor».

Por su parte, la Dra. Clara Esteban resaltó el papel de las nuevas generaciones, que se apoyan al 100% en la tecnología y también volvió a insistir en la importancia de la formación. De poco sirve contar con las últimas innovaciones si uno no está cualificado para usarlas. «Por ejemplo, un odontólogo que quiere hacer ortodoncia, se compra un escáner, escanea y tiene una marca de ortodoncia invisible que le hace la planificación. Está apoyándose en una tecnología que cree que va a hacer que sea un buen ortodoncista, pero, como no tiene los conocimientos ni la base, va a hacer un desastre. Creo que es muy importante que estos odontólogos sepan que la tecnología les va a ayudar, pero

nunca deben olvidarse que necesitan los conocimientos técnicos para determinadas especialidades, porque si no, no van a poder avanzar ni van a poder hacer un tratamiento exitoso ni ser buenos especialistas».

«No basta con comprar aparatología. El acompañamiento de la industria, que se encargue de la formación de todo el equipo, es fundamental. Y, por supuesto, el diálogo con las empresas. Nosotros probamos los lanzamientos, orientamos futuras mejoras, damos indicaciones o pedimos cosas que no tienen y que se van incorporando», destacó el Dr. Cuevas.

«En definitiva, la tecnología ha venido para quedarse y para transformar nuestra forma de trabajar, ya que, ahora, parte de nuestro horario laboral como dentistas está delante del ordenador, planificando. También va a suponer una gran inversión si quieres estar al día, porque la tecnología se queda obsoleta muy rápidamente, ya no solo el aparato en sí, sino los softwares que utilizan, que cambian radicalmente», resaltó el Dr. Juan Carlos Pérez Varela.

Ante esta obsolescencia, el Dr. Juan Carlos Pérez Varela detalló que sería interesante que las empresas

CLÍNICAS SOSTENIBLES: UN COMPROMISO DE TODOS

Al igual que en cualquier ámbito de actividad, en los últimos años se ha puesto el foco en la importancia de avanzar hacia una Odontología cada vez más sostenible. Profesionales comprometidos con sus pacientes, pero también concienciados con su entorno, asumiendo su responsabilidad social. «En DONTE GROUP tenemos una estrategia basada en tres pilares. Una es el cuidado de las personas que trabajan con nosotros. Otra es la gobernanza, el tener una empresa modelo de la que presumir y que sea ejemplo para otras a nivel regulatorio y normativo. Y luego está el cuidado del medio ambiente», destacó la Dra. Clara Esteban.

En este último punto, señaló la Dra. Clara Esteban, «nos estamos centrando en reducir nuestra huella de carbono y en optimizar el consumo energético que realizamos. Para ello, estamos analizando el uso que hacemos de la energía y de la luz en nuestras clínicas para disminuirlo. También estamos mejorando mucho el reciclaje de todos los materiales que utilizamos, por lo que trabajamos con empresas que nos garantizan materiales más ecosostenibles, con una mayor vida útil y que no se tiren a la basura. Igualmente, estamos trabajando mucho en el ahorro de agua y de papel, en el cambio de todas las luminarias a LED que gastan menos. Ahora mismo ya hemos conseguido que toda la luz que se consume en nuestras clínicas sea toda de origen 100% renovable». «Es mucho trabajo por delante, pero ya hemos hecho cosas de las que nos sentimos muy orgullosos. En clínica marcamos determinadas formas de trabajar que, al principio, los empleados no entienden. Sin embargo, cuando tú les explicas el motivo, todos quieren trabajar en línea con la sostenibilidad y ser mucho más respetuosos con el medio ambiente. Es un compromiso que debemos adquirir todos», concluyó la Dra. Clara Esteban.

contaran con un servicio de renting, como el de los coches, en el que se permitiera comprar una aparatología, pagar por ella una mensualidad y, a los tres o cuatros años, comprarla de forma definitiva o cambiar a otra.

Para conseguir que el camino de la digitalización no sea tortuoso para los profesionales de la consulta, Agathe Boulanger aportó tres claves: «La primera es la actitud, es decir, que haya un compromiso de todo el equipo de la clínica dental. Que todos estén embarcados en el proyecto para que se pueda implementar, porque nunca es una herramienta de una persona sola. En segundo lugar, creo que hay un papel y una responsabilidad de las tecnologías, de los proveedores. En nuestro caso, no queremos que la herramienta solo aporte una solución o un servicio, sino que queremos que sea intuitiva y que pueda considerar perfiles muy distintos entre los equipos. Y la última clave es que la tecnología sea interoperable, es decir, que no sean como herramientas que se operen independientemente».

A esto añadió el Dr. Alberto Cuevas: «El profesional se tiene que centrar en el paciente y tenemos que estar bien acompañados de un socio tecnológico fiable que garantice también un buen mantenimiento. En este sentido, hay que integrar todo el servicio que ofrecemos al paciente desde la recepción hasta el laboratorio, desde la infraestructura tecnológica hasta el análisis de datos para la toma de decisiones».

TECNOLOGÍA: PRESENTE Y FUTURO

Inteligencia artificial, realidad virtual, realidad aumentada… ¿Hacia dónde se dirige el futuro del desarrollo tecnológico? «La inteligencia

«Con análisis, hechos y estudios clínicos, un doctor con un software de inteligencia artificial es mucho mejor que un doctor sin inteligencia artificial»

Agathe Boulanger

artificial, que está generando una grandísima atracción, va a suponer y supone ya una nueva forma de trabajar. Creo realmente en la incorporación de toda esa tecnología, enfocada siempre al paciente, con técnicas menos invasivas y mucho más precisas. En definitiva, creo que el futuro se dirige a una Odontología más personalizada y una Medicina muy tecnológica, con ciclos de vida muy cortos, y con la incorporación de profesionales de la ingeniería

biomédica a nuestro trabajo. Lo veo así porque creo que, al final, tú te tienes que centrar en el paciente ofreciendo tratamientos más personalizados, practicando una Odontología menos invasiva y con un cambio que se deriva del conocimiento del genoma, de los modelos de vida del paciente, del manejo de grandes volúmenes de datos, de muchísima información... Siempre sin olvidar el trato humano al paciente y que, al final, el profesional bien formado y con criterio es el que toma las decisiones. Además, según vamos avanzando e incorporando novedades, aumenta el valor del grupo de trabajo, ya que uno no puede hacerlo todo, es imposible. Al final, es un trabajo de equipo», apostilló el Dr. Alberto Cuevas. «Para mí, una de las cosas más importantes de la inteligencia artificial es la automatización, que va a hacer que todo sea mucho más rápido. También va a mejorar mucho la comunicación, porque va a haber

«El profesional se tiene que centrar en el paciente y tenemos que estar bien acompañados de un socio tecnológico fiable que garantice también un buen mantenimiento»

una comunicación constante entre el paciente y la clínica. Además, creo que vamos a mejorar mucho la efectividad», detalló el Dr. Juan Carlos Pérez Varela, quien advirtió, no obstante, que es importante «que el profesional no pierda la perspectiva de que tiene que seguir formándose, que la tecnología es una ayuda,

Durante el encuentro se destacó la importancia de la supervisión del profesional para un uso adecuado de la tecnología.

pero no es el sustituto a nuestra formación».

En este punto también salió un tema de debate muy candente y teniendo en la mesa de debate al presidente de la Sociedad Española de Ortodoncia (SEDO) no podíamos dejar pasar la ocasión de abordarlo. Y es que, desde el sector, se lleva alertando del peligro de realizar tratamientos de ortodoncia invisible sin la supervisión del profesional, un reclamo en el que «pican» muchos pacientes.

«Es muy importante que cualquier tratamiento odontológico y, concretamente, ortodóncico, esté diagnosticado, planificado y controlado por un profesional que se ha formado adecuadamente en la materia que vamos a tratar. Concretamente en la ortodoncia, siempre le aconsejamos al paciente que se ponga en manos de un profesional que le haga un diagnóstico con radiografías, escáner intraoral, CBCT... lo que sea necesario, pero que le haga una planificación adecuada y lo controle periódicamente. La supervisión del profesional es fundamental, sea de forma telemática o física, pero somos partidarios de que el paciente vaya físicamente a la consulta de forma periódica».

Y siguiendo con la tecnología en la importancia del dato y en su integración hizo hincapié el Dr. José Ferreras. «Desde mi punto de vista, creo que hay que trabajar por la integración de datos médicos clínicos para hacer el diagnóstico más adecuado. Y ahí tiene importancia el paciente. Dentro de los datos clínicos no es solo «me falta un diente» o «esta sonrisa no me gusta». Esto nos ayudaría a poder plantear distintos planes de acción a los pacientes», destacó el Dr. José Ferreras. ●

CONOCE MÁS

A LOS INVITADOS

-Dr. Juan Carlos Pérez Varela: Doctor en Medicina y Cirugía por la Universidad de Santiago de Compostela (USC). Licenciado en Medicina y Odontología por la USC. Postgrado en Ortodoncia por la Universidad de Valencia. Presidente de la Sociedad Española de Ortodoncia (SEDO). Certificación de excelencia por el Spanish Board of Orthodontics y el European Board of Orthodontists. Miembro activo de la Angle Society of Europe. Profesor invitado y visitante en diversas universidades españolas y extranjeras. Director Médico de la Clínica MAEX de Santiago de Compostela.

-Dr. Alberto Cuevas: Doctor en Medicina y Cirugía. Doctor en Odontología. Postgrados en Estética Dental, Ortodoncia, Cirugía Bucal e Implantología y Prótesis Dentales. Profesor en distintas universidades. Publicación de numerosos artículos científicos. Ponente habitual en congresos médicos. Director Médico de la Clínica MAEX de Málaga.

-Dr. José Ferreras: Doctor en Medicina y Cirugía con sobresaliente cum laude y especialista en Cirugía Oral y Maxilofacial. Licenciado en Medicina y Cirugía por la Universidad de Valladolid. Rotaciones en distintos hospitales de España, Europa y América. Publicación de más de 30 artículos científicos y más de 70 comunicaciones en congresos nacionales e internacionales. Director Médico en las Clínicas MAEX de A Coruña y Ferrol.

-Dra. Clara Esteban: Licenciada en Medicina por la Universidad Complutense de Madrid. Especialista en Medicina Preventiva y Salud Pública. Chief Medical Officer de DONTE GROUP.

-Agathe Boulanger: Máster en Negocios Internacionales. Especialista en Marketing Digital, Administración y Dirección de Empresas. Head of Sales Spain de Alissone.

CON EL APOYO DE SEIS SOCIEDADES CIENTÍFICAS

El PRAN y el Consejo de Dentistas, unidos contra la resistencia antimicrobiana

El Plan Nacional frente a la Resistencia a los Antibióticos (PRAN) y el Consejo General de Dentistas llevan a cabo la campaña «Uso adecuado de los antibióticos», una iniciativa cuyo objetivo es informar a los dentistas sobre los peligros de la resistencia antimicrobiana y la importancia de su prevención en la práctica odontológica.

Para ello se han creado varios materiales que servirán de apoyo a los dentistas en su desarrollo profesional diario. Uno de ellos es la «Guía del uso de antimicrobianos en Odontología», elaborada junto a seis sociedades científicas (AEDE, SECIB, SECOMCyC, SEMO, SEOENE y SEPA) y supervisada por los expertos del PRAN, que aporta información clave sobre la utilización de estos medicamentos en las distintas áreas de la Odontología.

Por su parte, la «Guía ilustrada para dentistas», recoge, a modo de resumen, las principales pautas de uso de antibióticos en las diferentes patologías bucodentales más comunes.

También hay una app para IOS y Android, dirigida a dentistas, que estará disponible próximamente, en la que podrán encontrar información sobre infecciones bucodentales, antimicrobianos de uso común en Odontología y un decálogo sobre el empleo de estos fármacos en la profesión odontológica. Se podrá encontrar con el nombre Guía Antimicrobiano en la App Store y en Google Play Store. Y, finalmente, folletos e infografías, tanto para dentistas como para público general.

El Dr. Óscar Castro, presidente del Consejo General de Dentistas, señala que «esta campaña y los materiales que se han elaborado son una muestra del compromiso continuo con la salud pública y la seguridad de los pacientes, promoviendo un uso responsable y prudente de los antibióticos en el ámbito odontológico. ●

AESOR Y EFOSA UNEN FUERZAS PARA EL RECONOCIMIENTO DE LAS ESPECIALIDADES

Durante la Reunión Anual de la Federación de Asociaciones Europeas de Especialistas de Ortodoncia (EFOSA) a la que asistió la Asociación Española de Ortodoncistas (AESOR), la Junta Directiva de EFOSA y todas sus sociedades integrantes «mostraron su apoyo a AESOR en el camino hacia la obtención de la especialidad de Ortodoncia en Españal». Como explican desde AESOR, «se nos hizo entrega de una carta dirigida a nuestros políticos en la que se insiste que España es el único país europeo en el que no están reconocidas las especialidades odontológicas, siendo los pacientes españoles los únicos que no pueden beneficiarse de tratamientos de calidad». Por su parte, EFOSA reitera que «con el reconocimiento de las especialidades en España, habría una mejora de la salud oral de los ciudadanos y, por ello, una mejora de la salud general».

CASO

DE ÉXITO

Mucosa oral artificial para tratar a una bebé con fisura labiopalatina

El Hospital Universitario Virgen de las Nieves de Granada ha intervenido a una bebé de 16 meses que nació con fisura labiopalatina, una malformación en el labio y en el paladar.

Es el primer caso en Europa en el que se trata a un paciente con fisura labiopalatina mediante ingeniería tisular, un avance clínico y científico a cuya presentación asistió la consejera de Salud y Consumo de la Junta de Andalucía, Catalina García. «Gracias a este tratamiento multidisciplinar, esta menor tendrá un correcto desarrollo de aspectos funcionales, como el habla y la deglución, y estéticos, con una mayor armonía facial», señaló la consejera, que explicó que la paciente fue diagnosticada de esta malformación en el vientre materno y que, tras una minuciosa planificación desde el embarazo, se ha sometido a dos sesiones quirúrgicas, con un año de diferencia, para su correcta evolución y el éxito final de la intervención.

«Este avance científico ha sido posible

COLPRODECAM

IlustreColegioProfesionaldeProtésicosDentales delaComunidaddeMadrid

gracias a un trabajo de amplia trayectoria que se inició en 2019, con un ensayo clínico impulsado por el Grupo de Ingeniería Tisular de la UGR y la Unidad de Fisurados del Hospital Universitario Virgen de las Nieves», apuntó. Este ensayo clínico tuvo su primera aplicación práctica el 19 de junio. Un equipo compuesto por cirujanos pediátricos, anestesiólogos, enfermería especializada, ortodoncista y otorrinolaringólogo intervinieron quirúrgicamente a la bebé de 16 meses, con éxito, durante más de tres horas en el quirófano del Hospital Materno Infantil de Granada. Tras dos días de estancia en el centro sanitario con una evolución favorable, el 21 de junio la pequeña paciente recibió el alta hospitalaria. Desde entonces, está en seguimiento por parte del equipo de la unidad multidisciplinar de Fisurados Labiopalatinos y Malformaciones Craneofaciales del hospital granadino, referente de Andalucía oriental, al que tendrá que acudir puntualmente desde la localidad en la que tiene su residencia. ●

ROCÍO ARAGONESES, CEO DE ARAGONESES CPD

«Para

ser buenos profesionales, hay que invertir mucho en formación»

Rocío

Con 75 años de vida y tres generaciones familiares llevando sus riendas, Aragoneses Centro Protésico Dental se ha consolidado como un laboratorio dental de referencia entre los profesionales del sector.

—75 años de historia avalan el éxito de Aragoneses Centro Protésico Dental como laboratorio dental. ¿Cómo ha evolucionado la compañía a lo largo de todo este tiempo? —Ahora mismo poco tiene que ver con lo que le vendió mi abuelo a mi madre y con lo que yo empecé hace 17 años. Aunque intentamos mantener la parte tradicional junto con los avances tecnológicos, es verdad que el 60 o el 70% del trabajo se hace de forma distinta a cuando empezamos hace 75 años. En la actualidad, calculo que un 50% del laboratorio es totalmente digital, por lo que la evolución ha sido muy grande.

— Fundado por su abuelo, Rufino Aragoneses, Aragoneses CPD conserva su tradición a través de tres generaciones a la vanguardia de la prótesis dental. ¿Cómo han conseguido adaptarse a los nuevos avances tecnológicos y continuos cambios del sector?

Los que nos hemos querido digitalizar lo hemos tenido que hacer a través de inversiones tremendas, con una visión de futuro que no tenían en su momento las clínicas y sabiendo que era el único camino. Si no lo hacíamos, nos iba a comer el mercado. Entonces, hemos tenido que realizar una gran inversión, dejar de ganar dinero, salir de nuestra zona de confort y formarnos y actualizarnos mucho.

—Y siguiendo esta línea, ¿de qué manera ha impactado la digitalización en la fabricación de prótesis dentales en una profesión tan artesana y de detalle?

—Yo creo que sigue habiendo una parte artesanal, aunque ya no tanto. La parte de removible sigue manteniéndose por ahora, aunque sabemos que tiene los días contados porque en ferias internacionales vemos que el futuro de la removible es totalmente la impresión 3D. Ahora nos fijamos más en la parte de los detalles y la estética y, sin embargo, se ha perdido esa parte más médica-funcional.

«Uno de los proyectos que nos involucra todo el año es la mejora del ambiente laboral para que se trabaje mejor en equipo»

—Como parte de su compromiso con la satisfacción del cliente y su entorno, ¿qué certificaciones ha obtenido la empresa para garantizar la calidad de sus productos?

—A día de hoy somos el único laboratorio de España que está certificado con ISO de calidad, ISO de medio ambiente e ISO de producto médico. El camino ha sido muy largo y complicado porque, para un producto totalmente a medida, obtener las certificaciones es muy complejo. Sin embargo, queríamos dar un salto en la calidad y garantías ofrecidas a los clientes. Queremos que se cumplan todos los estándares de calidad necesarios y exigidos por la Comunidad Europea en cuanto a la fabricación del producto de las prótesis. Estas normativas te exigen un control exhaustivo de tus proveedores, un control absoluto de tus procesos de fabricación y una trazabilidad de todos los productos que están involucrados en la fabricación de la prótesis.

—En la compañía cuentan con un equipo de profesionales totalmente cualificados y años de experiencia en el sector protésico dental. ¿Cómo han contribuido al éxito y la evolución de Aragoneses CPD?

—Sin el equipo no habría prótesis y sin el equipo no habría la buena atención al cliente y el buen servicio que se ofrece a las clínicas. Además, nos tomamos muy en serio, sobre todo en los últimos años, la formación del personal y el ambiente laboral. Por eso creemos que para ser buenos profesionales y estar cualificados, hay que invertir mucho en formación. También, para un buen trabajo en equipo hay que invertir mucho en mejoras continuas de ambiente laboral y de formación al equipo en general.

—Usted es la tercera generación que lleva las riendas de la empresa familiar, ¿qué ha aprendido tanto de su abuelo como de su madre?

—Me quedaría con el ser trabajador; es decir, trabajar mucho cada día, e invertir en la formación de tu equipo y en la mejora continua de la empresa. También, con no quedarme

«Los que nos hemos querido digitalizar lo hemos tenido que hacer a través de inversiones tremendas, con una visión de futuro que no tenían en su momento las clínicas y sabiendo que era el único camino»

estancada en mi zona de confort, aunque eso suponga una comodidad para mí y para el equipo. La parte de liderazgo implica sacar a todo el equipo y a ti mismo de esa zona de confort para poder aportar una mejora continua a la empresa, aunque cueste mucho.

—¿Cuáles son las proyecciones futuras de Aragoneses CPD para los próximos años? ¿Qué nuevos desafíos y oportunidades anticipa la empresa en el sector dental? —Los proyectos nuevos son una mejora sustancial en la atención al cliente. Siempre seguimos mejorando y uno de los proyectos que nos involucra todo el año es la mejora del ambiente laboral para que se trabaje mejor en equipo.

—¿Le gustaría que sus hijos continuaran al frente de Aragoneses?

—Me gustaría que se dedicaran a lo que les haga feliz y a lo que les motivara a mejorarse a sí mismos cada día y no se estancaran en un despacho o en una profesión en la que no se evolucione. Si es en Aragoneses, pues que así sea. Aunque no sería la ilusión de mi vida, por supuesto, porque creo que nos esperan años de muchos cambios y de una evolución de la Odontología en la que poco les podría enseñar yo, ya que creo que, en el largo plazo, los laboratorios no van a ser lo que son ahora y lo que nosotros conocemos. ●

CON EL OBJETIVO DE INCLUIR NUEVAS PRESTACIONES

Sanidad destina 68 millones de euros a las CCAA para mejorar la salud bucodental

Esta medida forma parte del Plan de Salud Bucodental, iniciado en 2022, que ha alcanzado una inversión total de 180 millones de euros.

En 2023, con una inversión de 68 millones de euros, las comunidades autónomas han ejecutado el 84,5% del presupuesto, 57,5 millones de euros en gasto comprometido. Durante este año, fueron atendidos más de 1,1 millones de niños de 0 a 14 años (un 23,33% de cobertura); 111.755 mujeres embarazadas (34,07% de cobertura, un aumento de 2,42 puntos respecto a 2022); así como pacientes oncológicos y personas con discapacidad. El objetivo de este plan para 2024 es incluir nuevas prestaciones odontológicas públicas y medidas preventivas. A toda la población se le ofrecerá información y recomendaciones sanitarias individualizadas sobre las medidas básicas higiénicas y dietéticas necesarias para alcanzar y mantener la salud oral; consejo odontológico; tratamiento de procesos agudos odontológicos; tratamiento farmacológico de la patología bucal que lo requiera; exodoncias, exodoncias quirúrgicas y cirugía menor de la cavidad oral; detección precoz de lesiones premalignas y, en su caso, biopsia de lesiones mucosas.

Adicionalmente, en el caso de la población infanto-juvenil y de las personas mayores de 14 años con discapacidad intelectual o con una discapacidad limitante de la movilidad de los miembros superiores se incluyen revisiones periódicas; tratamientos preventivos como tartrectomías; aplicación de sustancias remineralizantes, antisépticas y desensibilizantes; el sellado de fosas y fisura; y, también, actuaciones de carácter restaurador como obturaciones en lesiones que no asocien daño pulpar irreversible, tratamientos pulpares y la reubicación, estabilización y ferulización de dientes incisivos y caninos definitivos en caso de traumatismos.

En el caso de personas que presenten alteraciones conductuales severas y que no sean capaces de mantener el necesario autocontrol que permita una adecuada atención a su salud bucodental, se garantizará las prestaciones de los servicios mediante el correspondiente tratamiento sedativo o de anestesia general.

Para las mujeres embarazadas y las personas diagnosticadas de procesos oncológicos del territorio cervicofacial se contempla también la exploración clínica, así como, cuando esté indicado, la tartrectomía y aplicación de sustancias remineralizantes, antisépticas y/o desensibilizantes. ●

¡NO TE PIERDAS MÁS NOTICIAS

DEL SECTOR EN NUESTRA WEB!

Los Dres. Borja Zabalegui y Daniel Torres, premiados por el Consejo de Dentistas

Recibirán los Premios Santa Apolonia y Dentista del Año, respectivamente, en la tradicional Gala de la Odontología española que se celebrará el próximo mes de diciembre.

El Dr. Borja Zabalegui Andonegui ha sido elegido Premio Santa Apolonia 2023, la máxima distinción que concede el Consejo General de Dentistas a título individual. Este premio reconoce a los dentistas que más han destacado por sus trabajos, su dedicación, y su contribución al prestigio y desarrollo de la Odontología a lo largo de toda su trayectoria profesional.

El Premio Dentista del Año 2023 ha sido para el Dr. Daniel Torres Lagares, presidente de la Sociedad Española de Cirugía Bucal (SECIB). Doctor en Odontología por la Universidad de Sevilla, donde actualmente es catedrático de Cirugía Bucal, ha sobresalido a lo largo del último año por su extraordinaria labor en la Comisión de Especialidades del Consejo General de Dentistas. ●

¡No lo piense más!

Seremos su único proveedor. Le prestaremos nuestros servicios con una cómoda cuota mensual.

Protección Radiológica

Servicio de Dosimetría

Prevención de Riesgos Laborales

Protección de Datos

Gestión de Residuos Clínicos

Tramitación Documental

Destrucción de Documentación Confidencial

Formación

Confíe en la única compañía que puede ofrecerle soluciones integrales para todos los servicios que necesita.

Le haremos un presupuesto personalizado. Solicite información de nuestras soluciones: info.espana@stericycle.com

stericycle.es | 900 922 903

Los Dres. Borja Zabalegui y Daniel Torres, ganadores de los Premios Santa Apolonia y Dentista del Año, respectivamente.

CON TITULACIÓN UNIVERSITARIA DE ANTONIO DE NEBRIJA

Instituto IDEOD, innovación y rigor en formación odontológica

El Instituto de Desarrollo Odontológico

Digital (IDEOD) ha revolucionado la capacitación de los odontólogos, fusionando la práctica clínica y la gestión directiva desde una perspectiva completamente digital. Este enfoque integral permite a todos los profesionales de las clínicas -desde el odontólogo, al director, pasando por higienistas y recepcionistas-, a mejorar tanto sus habilidades clínicas, a través de prácticas y tutorías, como a optimizar la gestión mediante el análisis de datos y procesos.

A través de su compromiso con el rigor académico y clínico, IDEOD cuenta con un claustro de profesores altamente capacitado y experimentado que, junto con un equipo administrativo dedicado, «crean una experiencia educativa personalizada, con un enfoque vanguardista que incluye las técnicas y procedimientos más innovadores.

Esta combinación de excelencia académica y tecnológica ha dado lugar a una comunidad exclusiva de especialistas que colaboran y se enriquecen mutuamente», detallan desde IDEOD.

UNA FORMACIÓN DESDE EL FLUJO DIGITAL

En este sentido, la digitalización es el núcleo de la oferta formativa de IDEOD.

Tal es así que «IDEOD ha realizado importantes inversiones en tecnología, proporcionando a sus alumnos herramientas de última generación como escáneres intraorales 3D i-Tero, TAC e impresoras 3D, entre otras tecnologías clínicas. Además, las colaboraciones con empresas líderes del sector, como 3Shape y NemoCast, aseguran que los estudiantes estén siempre a la vanguardia de la tecnología odontológica».

Por su parte, « el Máster de Dirección y Transformación de Clínicas Dentales es un claro ejemplo de esta transformación digital, que también mejora significativamente la relación médico-paciente a través del uso de tecnología avanzada para el tratamiento de los datos, convirtiéndolos en información fidedigna para una toma de decisiones consciente y segura», nos cuentan.

El Dr. Enrique Solano dando clase en el Máster en Ortodoncia y Ortopedia Dentofacial. Imagen: cedida por IDEOD.
Foto de familia de la graduación del Máster de Dirección y Transformación de Clínicas Dentales. Imagen: cedida por IDEOD.

UNA FORMACIÓN PARA CADA MIEMBRO DE LA CLÍNICA

IDEOD ofrece una amplia gama de programas formativos para la formación permanente y continua. «Entre los más destacados se encuentran los programas de Ortodoncia y Odontopediatría, acreditados por la Universidad Antonio de Nebrija, y cursos específicos para higienistas, avalados por la Fundación San Pablo Andalucía CEU. La propuesta incluye también formación online de alto rendimiento como Aligner Pro Academy, formación específica para recepcionistas y el Máster de Dirección y Transformación de Clínicas Dentales, esencial para propietarios y gestores de clínicas», apostillan.

Además, en IDEOD, la teoría y la práctica están intrínsecamente conectadas. «Los doctores Enrique Solano y Asunción Mendoza, fundadores del Instituto, han diseñado una filosofía formativa que prioriza la práctica clínica supervisada. La clínica de 10 gabinetes dentro del centro de formación permite a los alumnos atender a pacientes, complementado con tutorías personalizadas para sus propios casos clínicos, lo cual es esencial para su desarrollo profesional y confianza. Asimismo, los profesores del Máster de Dirección de Clínicas supervisan todas las actuaciones que los alumnos ejecutan en sus propias clínicas, garantizando el éxito de las mismas antes incluso de finalizar la formación», explican.

UN PROYECTO DE PRESENTE Y DE FUTURO

Así, en una constante búsqueda de superación y mejora, este año Instituto IDEOD ha alcanzado hitos como la acreditación de 180 ECTS del Máster en Ortodoncia y Ortopedia Dentofacial y la certificación Invisalign para sus alumnos de Ortodoncia; han incorporado la formación para higienistas con la celebración de una doble edición este mismo año; y en breve dará comienzo una formación específica para recepcionistas de clínicas dentales, continuando su misión de apoyar el desarrollo profesional de todos los integrantes del sector dental. «IDEOD sigue marcando la pauta en la formación odontológica, combinando excelencia

«La clínica de 10 gabinetes dentro del centro de formación permite a los alumnos atender a pacientes, lo que complementado con tutorías personalizadas para sus propios casos clínicos, es esencial para su desarrollo profesional y confianza»

académica, innovación tecnológica y una profunda dedicación al desarrollo profesional de sus alumnos», concluyen desde IDEOD. ●

Clínica IDEOD. Imagen: cedida por IDEOD.

Fenin y Sanidad impulsan la inclusión de tecnologías sanitarias innovadoras

Una representación de la Junta

Directiva de la Federación Española de Empresas de Tecnología Sanitaria (Fenin) ha mantenido una reunión con la responsable ministerial para trasladarle los retos actuales del sector.

La Federación Española de Empresas de Tecnología Sanitaria ofrece su colaboración a la ministra de Sanidad, Mónica García, para «favorecer la incorporación de tecnologías sanitarias innovadoras al Sistema Nacional de Salud de forma sostenible». Así se lo han trasladado miembros de la Junta Directiva de Fenin en una reunión institucional que han mantenido en la sede del Ministerio.

Durante el encuentro, Fenin ha subrayado «el compromiso permanente de este sector para desarrollar soluciones tecnológicas innovadoras que mejoren la salud y calidad de vida de los pacientes, contribuyendo en la eficacia y la sostenibilidad del Sistema Nacional de Salud (SNS)». Por su parte, la vicepresidenta de la Federación, Lourdes López, ha manifestado que «la industria de tecnología sanitaria es

aliada de la Administración y motor económico del país. Las innovaciones tecnológicas están presentes en todo el proceso asistencial y son determinantes para alcanzar los mejores resultados en salud, y lo serán todavía más en la construcción de un sistema sanitario de futuro más eficiente, sostenible y digital».

Por su parte, la ministra de Sanidad, Mónica García, ha indicado que «la colaboración entre la industria que representa Fenin y el Ministerio debe poner la mirada en la apuesta por los productos de alto valor añadido y la tecnología más avanzada. Además, coincidimos en nuestro compromiso por la sostenibilidad del sistema y modelos orientados a los pacientes. Para este Ministerio esta colaboración tiene especial relevancia de cara a los planes INVEAT y AMAT-I».

En este sentido, los representantes de la Federación han puesto énfasis «en la importancia de que las innovaciones tecnológicas puedan incorporarse al SNS de forma ágil y equitativa al sistema sanitario». Asimismo, el secretario general de Fenin, Pablo Crespo, ha apuntado que «garantizar el acceso de los pacientes a las tecnologías sanitarias de mayor calidad es un reto en el que tenemos que trabajar juntos las administraciones sanitarias y el sector para mejorar la salud y calidad de vida de los pacientes. Es clave disponer de un entorno regulatorio estable que permita acometer las inversiones de forma planificada y eficiente». ●

¡LEE LA NOTICIA COMPLETA EN LA WEB!
Los representantes de Fenin reunidos con la ministra de Sanidad. Imagen: cedida por Fenin.

La historia de la Facultad de Odontología de la UCM, en imágenes

La súper tienda de ortodoncia

Más de 23.000 artículos increíblemente baratos

El pasado 9 de julio se inauguró en la Facultad de Odontología de la Universidad Complutense de Madrid (UCM) la exposición «La Facultad de Odontología UCM. Un recorrido histórico» de la mano del Prof. Dr. Gonzalo Hernández Vallejo, decano del centro, su equipo decanal, y Joaquín Goyache Goñi, rector de la UCM.

«Hemos querido llevar a cabo esta exposición por varios motivos. Entre ellos, el afecto y el cariño que le tengo a esta Facultad y a esta Universidad. Yo me veo como que pertenezco a esta casa. Y, también, mi pasión por la historia. Para mí, la historia nos hace tomar conciencia de los pueblos y de las personas, nos hace ver qué errores hemos podido cometer, nos hace reconsiderar cómo ha sido nuestra trayectoria y ver cómo progresa un centro», añadió el Dr. Gonzalo Hernández Vallejo.

Por su parte, el rector Joaquín Goyache Goñi también quiso dedicar a los asistentes unas palabras, señalando que «en pocos sitios me he sentido tan querido como en esta Facultad» y destacando la calidad de la formación y la investigación que se realizan dentro de ella como así lo confirman diferentes rankings de prestigio. ●

Productos 3MTM TransbondTM con las mejores condiciones:

Pídalo hoy mismo directamente a

El Prof. Dr. Gonzalo Hernández Vallejo y Joaquín Goyache Goñi hicieron un repaso por la historia de la Facultad.
más IVA

DESTACADOS POR SU TRAYECTORIA ACADÉMICA Y PROFESIONAL

Los Dres. Mosqueda, Meurman y Delgado, Medalla de Honor de ACODES

La sede del Consejo General de Dentistas de España de Madrid sirvió de escenario, en la mañana del 1 de julio, a la entrega y toma de posesión de la Medalla de Honor de la Academia de Ciencias Odontológicas de España (ACODES) a los académicos extranjeros Adalberto Mosqueda, Jukka Meurman y Wilson Delgado.

Tras sus discursos y palabras de agradecimiento por esta distinción, los Dres. Adalberto Mosqueda, Jukka Meurman y Wilson Delgado recibieron la Medalla de Honor de manos del Dr.

Antonio Bascones Martínez, presidente de la Academia de Ciencias Odontológicas de España. Los doctores Adalberto Mosqueda, Jukka Meurman y Wilson Delgado destacan por una larga trayectoria, tanto académica como profesional, además de varios logros y reconocimientos por su trabajo. ●

EN INVESTIGACIÓN E INNOVACIÓN ODONTOLÓGICA

El Dr. Luis Alberto Costa, ganador

del Premio CODES 2024

El galardón se entregó durante la celebración del primer Simposio Formativo de Verano: «Impulsando la Excelencia en la Odontología», organizado por el Colegio Oficial de Odontólogos y Estomatólogos de Asturias (CODES).

Este premio fue concedido por su investigación sobre la «Regeneración de la pulpa dental mediante secretoma de células madre mesenquimales en modelo in vivo». Su trabajo fue destacado por su innovación y potencial impacto

en el tratamiento de enfermedades dentales. «El potencial desarrollo de las células madre y su aplicación en la Odontología es un campo totalmente nuevo, disruptivo, y confiamos en que llegue cuanto antes a las clínicas dentales», indicó el galardonado, destacando cómo «esta gran iniciativa del CODES pone en valor la investigación como base del progreso». ●

Los Dres. Lucía Díaz-Faes, Luis Alberto Costa, Alin Marian, Germán Buj y Juan Suárez con el presidente del CODES, el Dr. Jesús Frieyro. Imagen: cedida por el CODES.

Los Dres. Adalberto Mosqueda, Jukka Meurman y Wilson Delgado junto con miembros de la Academia de Ciencias Odontológicas de España, al finalizar el acto.

El Colegio de Higienistas Dentales de Madrid renueva su acuerdo con SEMDeS

El pasado viernes 12 de julio tuvo lugar, en la sede del Colegio Profesional de Higienistas Dentales de Madrid (CPHDM), la actualización del convenio de colaboración suscrito entre el Colegio y la Sociedad Española de Medicina Dental del Sueño (SEMDeS).

En la firma del acuerdo, César Calvo Rocha, presidente del Colegio, y Manuel Míguez Contreras, presidente de SEMDeS, se comprometieron a llevar a cabo todas aquellas acciones dirigidas al desarrollo de distintos cursos de formación para los higienistas

dentales, así como al intercambio de información de interés para ambas instituciones.

«El higienista dental, como profesional sanitario cualificado y en colaboración con el odontólogo, es parte fundamental en la prevención y promoción de la salud bucodental de los ciudadanos, incluyendo aquellas que afectan, en materia dental, a la respiración y al sueño», destacan. ●

De izda. a dcha.; Manuel Míguez Contreras y César Calvo Rocha. Imagen: cedida por el Colegio.

EL COLEGIO DE HIGIENISTAS DE MADRID ASUME LA PRESIDENCIA

Nueva Junta Directiva de la Unión de Colegios de Higienistas Dentales

Tras las elecciones celebradas a la Junta Directiva de la Unión de Colegios Profesionales de Higienistas Dentales de España, el Colegio Profesional de Higienistas Dentales de Madrid, representado por César Calvo Rocha, asume, por unanimidad, la presidencia de la Unión. Por su parte, el Colegio Profesional de Higienistas Dentales de la Comunidad de Aragón, representado por su presidenta, Rosa Mª Tarragó Gil, asume la vicepresidencia.

Se mantienen en los cargos de tesorería el Colegio Profesional de Higienistas Dentales de la Comunidad Valenciana, representado por Amparo Carrascosa Bengoechea; y en el cargo de secretaría, el Colegio Profesional

de Higienistas Dentales de Extremadura, representado por María José Campos Expósito. Finalmente, como vocales han sido elegidos los Colegios Profesionales de Higienistas Dentales de Castilla-La Mancha, Galicia y Cataluña, representados por Merián Fernández Román, Francisco Javier Pardo Otero y Montserrat Conil Codina, respectivamente. «La Unión de Colegios Profesionales de Higienistas Dentales de España nació con la finalidad de ser la voz del colectivo de higienistas dentales, promocionar la función sanitaria de la profesión, y coordinar actuaciones colegiales con otras entidades e instituciones», señalan desde la organización. En base a estos principios, la nueva Junta Directiva se compromete «a dar continuidad a estos objetivos y establecer líneas de trabajo de comunicación, colaboración y coordinación con organizaciones y administraciones, para seguir defendiendo los intereses del colectivo». ●

CAROLINA BARRERO LÓPEZ, NUEVA PRESIDENTA DEL COLEGIO PROFESIONAL DE HIGIENISTAS DENTALES DE GALICIA

El Colegio Profesional de Higienistas Dentales de Galicia ha anunciado cambios en su Junta Directiva, con Carolina Barrero López como presidenta al frente de la entidad. A ella se le suman M a Dolores Caamaño, como vicepresidenta; Francisco Javier Pardo Otero, como secretario; Diana Vidal Freire, como tesorera; M a Del Valle Martínez Falcón, como ponente de Cultura; Pablo Corral González, como vocal delegado de Lugo; Cristina Montes Martínez, como vocal delegada de Ourense; Ana María Díaz Fuentes, como vocal delegada de A Coruña; Clara Núñez González, como vocal delegada de A Coruña; Nuria Campelo Estévez, como vocal delegada de Pontevedra; y María Teresa Pais Mayo, como vocal delegada de Pontevedra.

Carolina Barrero, nueva presidenta de los higienistas gallegos.

Escanea el código QR con tu smartphone para acceder al listado de precios o accede a www.expadent.com/precios

YA DISPONIBLE EXPADENT APP

Hemos mejorado nuestro sistema de gestión, y ahora cualquiera de nuestros clientes podrán realizar los pedidos directamente desde nuestra aplicación, intuitivamente.

También permite hacer un seguimiento total del proceso de fabricación y de envío del pedido realizado. CORONA ZIRCONIO MULTICAPA 49,90 euros …y como siempre con los precios más competitivos del mercado

MEDIANTE UN ESCRITO AL MINISTERIO DE SANIDAD

El COEM solicita la prohibición de las férulas de descarga fabricadas en serie

El Colegio de Odontólogos y Estomatólogos de la I Región (COEM) ha enviado un escrito a Mónica García, ministra de Sanidad, con copia a la directora de la AEMPS (Agencia Española de Medicamentos y Productos Sanitarios), solicitando «el cese inmediato de la comercialización, en farmacias, parafarmacias e internet, del producto sanitario férulas de descarga (ortosis oclusal), sin ningún tipo de supervisión sanitaria por parte de odontólogos».

El COEM explica que «este tipo de productos tienen como finalidad el tratamiento de diversas patologías que, por su naturaleza y finalidad, deberían ser denominados «a medida», lo que determina, primeramente, «la exigencia de prescripción por parte de un odontólogo; segundo, que esté fabricado bajo unas características específicas de diseño; y tercero, que esté destinado a ser

utilizado por un paciente determinado con el fin exclusivo de atender a su estado y necesidades particulares». Es decir, «siempre debería ser diagnosticado por un odontólogo y debería realizarse en un laboratorio de prótesis dental y acompañado de la correspondiente declaración de conformidad. Los productos que se comercializan libremente y directos al consumidor están fabricados en serie, lo que impide cumplir con las garantías mínimas exigibles y generan un elevado riesgo para la salud de los pacientes», detallan desde el COEM.

En este sentido, el Colegio considera que «este asunto se está tratando con cierta condescendencia y restándole importancia, cuando en realidad es un producto muy sensible que puede provocar complicaciones a largo plazo en la salud del paciente».

En 2019, el COEM presentó un escrito a la AEMPS y solicitó a la Comunidad de Madrid «el cese de la publicidad de estos productos». Como indican desde la organización, «por el momento, no se ha recibido ningún tipo de respuesta ni ejecución de las medidas requeridas por parte de las instituciones competentes en la materia». ●

Solicite una demostración en su clínica ¡CONTÁCTENOS!

Info@ultradent.es - WWW.ULTRADENT.ES

LA EVOLUCIÓN EN ODONTOLOGÍA LÁSER

Descubre más

LOS DRES. SCULEAN, DONOS, GOLDSTEIN Y BARTOLD, GALARDONADOS

La EFP reconoce la excelencia en Periodontología con sus premios 2024

La Federación Europea de Periodoncia (EFP) ha reconocido la labor de los doctores Anton Sculean, Nikolaos Donos, Moshe Goldstein y Mark Bartold.

El Premio EFP a la Eminencia en Periodontología 2024 fue otorgado al ex presidente de la EFP, el

Dr. Anton Sculean, profesor de Periodontología en la Universidad de Berna, Suiza, quien también preside el Comité de Proyectos de la EFP y es el presidente del congreso EuroPerio11 que se celebrará en 2025 en Viena.

Por su parte, el Premio EFP al Científico

Distinguido 2024 se concedió al Dr. Nikolaos Donos, profesor de Periodontología y Odontología de Implantes en la Queen Mary University of London, y presidente del comité de educación de la EFP.

Asimismo, el Premio EFP al Servicio Distinguido 2024 fue para el ex presidente de la EFP y ex presidente del comité de educación de posgrado de la EFP, el Dr. Moshe Goldstein, profesor de Periodontología y director de Periodontología de posgrado en el Centro Médico Universitario Hadassah-Hebreo en Jerusalén.

Finalmente, el Premio Internacional EFP a la Eminencia en Periodontología 2024 fue para el Dr. Mark Bartold, profesor emérito de Periodoncia en la Universidad de Adelaida, Australia. ●

De izda. a dcha.; los Dres. Anton Sculean, Nikolaos Donos, Moshe Goldstein y Mark Bartold. Imagen: cedida por la EFP.

UNIDAD ODONTOLÓGICA Y DE CIRUGÍA ORAL DE LA ZARZUELA

«Esta Unidad está centrada en el desarrollo de su propio flujo digital»

Con la colaboración de 21 profesionales entre odontólogos y cirujanos

maxilofaciales, la Unidad Odontológica y de Cirugía Oral del Hospital Universitario

Sanitas La Zarzuela nació en 2016 con un objetivo claro: ofrecer una visión multidisciplinar en el tratamiento del paciente. Hablamos con la Dra. Manuela Escorial, odontóloga y responsable del departamento de Innovación y Calidad Clínica de Sanitas Dental, para conocer más detalles sobre la Unidad.

—¿Cuándo se puso en marcha la Unidad Odontológica y de Cirugía Oral del Hospital Universitario Sanitas La Zarzuela y cómo ha evolucionado desde entonces?

—La Unidad Odontológica y de Cirugía Oral inició su andadura en 2016 con el objetivo de favorecer la relación entre la Odontología y la Cirugía Maxilofacial en el tratamiento integral del paciente. Durante estos años se ha trabajado en consolidar un modelo asistencial que apuesta por integrar ambas disciplinas.

—¿Cuáles son los valores fundamentales que guían el trabajo de la Unidad?

La visión multidisciplinar en el tratamiento del paciente de alta complejidad con el soporte fundamental de la digitalización en los procesos diagnósticos y terapéuticos.

—¿Cuántos profesionales, entre odontólogos y cirujanos maxilofaciales, forman parte de la Unidad?

—Hoy colaboran 21 profesionales, entre odontólogos y cirujanos maxilofaciales. También

La Dra. Manuela Escorial, odontóloga y responsable del departamento de Innovación y Calidad Clínica de Sanitas Dental. Imagen: cedida por Sanitas.

contamos con una enfermera especializada, fundamental en la atención en ámbito hospitalario.

—¿Cuál es el nivel de formación y especialización del personal odontológico y médico?

—Todos los odontólogos que colaboran en la Unidad tienen una experiencia dilatada y amplia formación en las diferentes disciplinas odontológicas que desarrollan. En el caso de los cirujanos maxilofaciales, además de colaborar en la Unidad, atienden el Servicio de Cirugía Maxilofacial del Hospital Universitario de la Zarzuela. Este equipo, de reconocido prestigio, está integrado por siete profesionales formados en las diferentes áreas de la Cirugía Maxilofacial. Tanto odontólogos como maxilofaciales colaboran para mejorar la interacción de ambas disciplinas en beneficio del paciente.

—Además de los servicios y pruebas de evaluación y diagnóstico (ortopantomografías y TAC dental), ¿qué servicios y tratamientos dentales ofrece?

—El centro ofrece servicios integrales en Odontología tanto para el paciente adulto como infantil. Está especializado en Implantología avanzada, Ortodoncia quirúrgica, atención al paciente pediátrico en ámbito hospitalario, paciente adulto con necesidades especiales, dolor orofacial y manejo de trastornos temporomandibulares.

—¿Podría describir en detalle, además, el proceso de las cirugías ortognáticas que se realizan en la Unidad para pacientes con problemas en el maxilar o la mandíbula?

—Dentro de la Unidad colabora un equipo especializado compuesto por cirujanos maxilofaciales y ortodoncistas que trabajan de manera conjunta en el diagnóstico, planificación, ejecución y seguimiento de los pacientes candidatos a un tratamiento de Ortodoncia quirúrgica. El trabajo completamente compartido entre cirugía y Ortodoncia es la clave en el manejo en estos casos de alta complejidad.

«Dentro de la Unidad colabora un equipo especializado compuesto por cirujanos maxilofaciales y ortodoncistas que trabajan de manera conjunta en el diagnóstico, planificación, ejecución y seguimiento de los pacientes candidatos a un tratamiento de Ortodoncia quirúrgica»

Diseño digital previo a la cirugía mediante planificación quirúrgica guiada con el neuronavegador Brainlab.
«Gracias a la digitalización y las nuevas tecnologías, Sanitas está transformando sus procesos asistenciales, apostando por un modelo de salud que integre las infraestructuras hospitalarias y la digitalización»

—¿Qué medidas se toman para garantizar la comodidad y seguridad del paciente durante los tratamientos?

—Algo que define a esta Unidad es el desarrollo del flujo digital aplicado al diagnóstico, planificación y ejecución de los procedimientos.

El uso de recursos de planificación digital permite diagnósticos de mayor precisión y procedimientos con menor morbilidad y riesgo para el paciente. El entorno sanitario nos permite poder tratar pacientes bajo sedación consciente o anestesia general con el mayor estándar de seguridad posible.

—¿Qué tecnologías y equipos avanzados se utilizan en los tratamientos odontológicos y quirúrgicos?

—La Unidad Odontológica de la Zarzuela está centrada en el desarrollo de su propio flujo digital. El equipo de colaboradores ha desarrollado un protocolo digital que mejora procesos de rehabilitación de implantes como, por ejemplo, la colocación de implantes cigomáticos en el quirófano. Gracias a la digitalización y las nuevas tecnologías, Sanitas está transformando sus procesos asistenciales con el fin de ofrecer lo mejor a los pacientes y apostando por un modelo de salud que

Diseño digital previo a la cirugía mediante planificación quirúrgica guiada con el neuronavegador Brainlab.

integre las infraestructuras hospitalarias y la digitalización. Una de las tecnologías innovadoras es la colocación de implantes mediante el navegador Brainlab, una tecnología similar a un GPS que, gracias a la adaptación del software, ha permitido utilizar un programa específico para el área de Cirugía Maxilofacial. Esta tecnología permite la colocación óptima, segura y totalmente guiada del implante aportando una predictibilidad y fiabilidad en el tratamiento. La planificación quirúrgica guiada con este sistema se emplea, sobre todo, en la colocación de implantes dentales cigomáticos ante la imposibilidad de poder colocar implantes dentales convencionales o incluso una prótesis completa, siendo una alternativa a los pacientes con atrofia severa del maxilar y permitiendo un total control en cirugías avanzadas y complejas.

—¿Qué innovaciones recientes se han implementado?

—Algunas de las innovaciones recientes y próximos proyectos en la Unidad Odontológica de La Zarzuela han sido: la navegación dinámica en Implantología endoósea y cirugía de implantes, la aplicación del microscopio en diferentes disciplinas odontológicas, la implantación de softwares de planificación multidisciplinar, etc.

—¿Cuáles son los planes futuros para el desarrollo y expansión de la Unidad del hospital?

El plan más cercano es su remodelación y ampliación prevista para finales de este año. Un proyecto pensado para favorecer el trabajo multidisciplinar con recursos diagnósticos y terapéuticos innovadores. Nuevos recursos de planificación diagnóstica digital, navegación dinámica, uso de magnificación aplicada en diferentes disciplinas, etc. ●

Diseño digital previo a la cirugía mediante planificación quirúrgica guiada con el neuronavegador Brainlab.

EL EVENTO SE DESARROLLÓ EN SITGES

IA y transformación digital, claves de la segunda edición de SMARTCLINIC 3.0

Sitges acogió la segunda edición de SMARTCLINIC 3.0 de la Sociedad Española de Prótesis, Estomatología y Estética (SEPES), un curso dirigido por el Dr. Guillermo Pradíes que se enfocó en la puesta al día de las innovaciones tecnológicas aplicadas a la gestión de la clínica, la comunicación con el paciente, el marketing digital, los recursos humanos, etc.; todo ello enmarcado en el proceso de transformación digital de la clínica dental.

El primer día del curso, el experto en procesos de transformación digital, Raúl Calleja, abrió la sesión con el tema de la nueva comunidad conectada y cuál es su influencia en el sector dental actual. A continuación, Pedro Perales, CEO de MedicalFit, habló de la transformación tecnológica 4.0 y la gestión clínica en base al dato y su aplicación en aspectos de la logística como el control de stock. Tras la pausa de la tarde fue el turno de Guillermo Pradíes, que presentó varias aplicaciones prácticas de IA en Odontología.

La segunda jornada se centró en las nuevas tecnologías disruptivas al servicio de

la gerencia. Marc Cortés mostró en la parte teórica de su exposición el panorama actual y de futuro próximo de tecnologías exponenciales al servicio de la competitividad en el sector. Posteriormente, Cortés dirigió un workshop en el que se presentaron casos prácticos para uso gerencial de IA, realidad aumentada (AR) y metaverso. Hossam Dawa presentó desde un enfoque clínico ejemplos de cómo la IA aplicada en Implantología redunda en precisión y eficiencia.

Los ingenieros y expertos en ciberseguridad, Javier de la Chica y Antonio de la Chica, CEOs de la empresa ItDent, concienciaron a los asistentes sobre el peligro real de los ciberataques a los que están expuestas las clínicas y el consiguiente riesgo al que se exponen desde el punto de vista de la LOPD y la seguridad financiera.

La última jornada de SMARTCLINIC 3.0 se centró en la IA y el marketing tecnológico, donde Luis Mallo, CEO de INSPIRIA, charló sobre el reto que supone para el sector dental la evolución imparable de la tecnología y el uso de la IA, además de encuadrar su ponencia en la sinergia entre Medicina e Ingeniería. Esbozó las seis áreas principales en las que la IA está ya aplicándose en las clínicas que han emprendido ya su proceso de transformación digital: diagnóstico y detección, planificación de tratamientos, asistencia en procedimientos, gestión de pacientes, prevención y educación y marketing y comunicación.

Por su parte, Rafael Areses, responsable del área de desarrollo internacional de INSPIRIA y experto en estrategias disruptivas en el sector de la salud y en particular en el dental, cerró el programa de ponencias compartiendo una revisión de las novedades más recientes en las distintas áreas de IA Generativa. ●

De izda. a dcha.; Miguel Roig, Rafael Martínez de Fuentes, Iria López, Guillermo Pradíes y Sandra Fernández. Imagen: cedida por SEPES.

CURSO

PR EDIC TI B IL IDAD DE I MP L ANT ES

Dr. Iñaki Gamborena

Congresos

Del 10 al 12 de octubre, la ciudad de Sevilla acogerá el 53 o Congreso

Anual de la Sociedad Española de Prótesis Estomatológica y Estética (SEPES). ¿Con qué objetivos se ha diseñado el programa científico de este año?

—El principal objetivo es el de ofrecer a los congresistas un programa variado en lo interdisciplinar, concreto en lo que a prótesis, estética y Odontología digital concierne; novedoso en cuanto a ponentes inéditos en España; riguroso en el nivel clínico y científico de las comunicaciones; útil para la práctica clínica diaria; y atractivo para la industria presente.

—Bajo el lema «Protocolos para la práctica clínica», en el congreso se incluye el Simposio con la Digital Dentistry Society (DDS) y otro

DR. RAFAEL MARTÍNEZ DE FUENTES

Presidente del 53º Congreso Anual SEPES

Con el objetivo de ofrecer a los congresistas un programa interdisciplinar, Sevilla acogerá, del 10 al 12 de octubre, el 53º Congreso Anual de la Sociedad Española de Prótesis Estomatológica y Estética (SEPES). Una cita, según el presidente de la misma, el Dr. Rafael Martínez de Fuentes, donde se mostrarán «las tecnologías más avanzadas en el diagnóstico, planificación, ejecución y seguimiento de los tratamientos restauradores».

Simposio con la European Prosthodontic Association (EPA). ¿Cómo beneficiará a los congresistas la alianza con estas organizaciones en el congreso de Sevilla?

—Para la Junta Directiva es muy importante que el congreso anual sea un escaparate amplio y diverso de la actualidad odontológica general tanto a nivel nacional como internacional. Somos la sociedad española más importante en número de socios, con más de 4.400, y la segunda europea. En mi opinión, también la más transversal, sobre todo debido a nuestro papel de arquitectos y diseñadores de los planes de tratamiento en rehabilitación oral. Diagnosticamos, planificamos y repartimos las tareas interdiciplinares de ortodoncia, periodoncia y cirugía, entre otras; para, una vez realizadas, finalizar el tratamiento restaurador. Todo ello haciendo uso de toda la tecnología

y, por eso, entendemos que debemos liderar también la Odontología digital. Así, los congresistas se beneficiarán de la colaboración e intercambio de conocimientos con la European Prosthodontic Association, EPA, y la Digital Dentistry Society, DDS, ambas presentes en nuestro congreso de Sevilla. En este contexto, el congreso dispone siempre de un espacio fijo y amplio para todo aquello que tiene que ver con la aplicación de las tecnologías más avanzadas en el diagnóstico, planificación, ejecución y seguimiento de los tratamientos restauradores, así como con la eficiencia en el flujo de trabajo clínico-técnico. Este año, y dentro de este gran bloque que supone la Odontología digital, se ha incluido en el programa un simposio de la DDS. En esta sesión, reconocidos expertos en el campo de la digitalización abordarán desde un enfoque multidisciplinar y desde la perspectiva del uso de la tecnología, diferentes aspectos de la Implantología, del diseño de la sonrisa, de la navegación guiada en los tratamientos de arcadas completas, de cómo maximizar la precisión en los tratamientos rehabilitadores e, incluso, del papel de los avatares en Odontología.

—En el marco de SEPES Sevilla 2024 se celebrará una jornada específica sobre Innovación en la Dirección en la Clínica. ¿Qué temas se reflejarán en la misma?

—Es una jornada donde se abordarán temas interesantes y muy útiles para la gestión y dirección de nuestras clínicas. No olvidemos que, junto al trabajo clínico que realizamos, sin duda el prioritario, también hay en nuestro día a día y en el de nuestro equipo una parte de gestión inevitable e importantísima de todo lo que tiene que ver con recursos humanos, gestión de la agenda de citas, comunicación con un paciente cada vez más digital… O los procesos de transformación digital que a día de hoy ya hay que ir implementando en nuestras clínicas y necesitan tiempo y recursos.

—Mención aparte merecen los talleres y el curso de día completo con uno de

los ponentes más reconocidos a nivel internacional de la Odontología Restauradora y Estética, el Dr. Pascal Magne. ¿Qué conocimientos podrán adquirir los asistentes para aplicar en su práctica diaria?

—El Dr. Pascal Magne presentará los últimos descubrimientos científicos sobre restauraciones adhesivas en el sector anterior con una gran carga digital y explicará los valores fundamentales de la Odontología restauradora biomimética. También revisará los procedimientos más importantes para aumentar la eficiencia de las restauraciones directas con resina compuesta y analizará las posibilidades de los novedosos enfoques semiindirectos utilizando resinas compuestas anteriores personalizadas mediante CAD/CAM.

—¿Para qué perfiles está diseñado el Congreso SEPES Sevilla 2024?

—Atendiendo al enfoque interdisciplinar que tiene el programa, con sesiones de prótesis, endo/cirugía, perio/prótesis, Odontología digital, estética facial, rehabilitación, neurociencia, clínico/técnico/, etc.; cualquier odontólogo, técnico de laboratorio, higienista y auxiliar encontrará intereses suficientes para asistir al congreso.

—¿Por qué es SEPES Sevilla 2024 una cita imprescindible para los profesionales del sector?

—Porque es donde estará representada la mejor Odontología restauradora actual a nivel mundial, con los más reconocidos expertos en digitalización, prótesis y estética, y porque la industria más puntera del sector estará presente en la exposición comercial. ●

MÁS INFORMACIÓN

DR. JAVIER VILA

Presidente del VII Congreso Nacional de la Sociedad Española de Medicina Dental del Sueño (SEMDeS)

Los días 22 y 23 de noviembre, la Sociedad Española de Medicina Dental del Sueño (SEMDeS) celebrará su VII Congreso Nacional en Barcelona. Una cita, en palabras de su presidente, el Dr. Javier Vila, con un objetivo claro: actualizar y ampliar los conocimientos en este campo a través de brillantes charlas sobre nuevas tecnologías o inteligencia artificial.

Barcelona acogerá, los próximos 22 y 23 de noviembre, el VII Congreso Nacional de la Sociedad Española de Medicina Dental del Sueño (SEMDeS). ¿Cuál es el objetivo principal de esta cita científica?

—Actualizar y ampliar nuestros conocimientos en el campo de la Medicina Dental del Sueño. Para asegurar este objetivo contaremos con ponentes excelentes, que cubrirán los temas más importantes: desde la irrupción de la inteligencia artificial en nuestro campo, pasando por las nuevas aportaciones de la Ortodoncia, la ORL o la Cirugía Maxilofacial.

Sin embargo, casi tan importante como la actualización de conocimiento científico será el establecimiento de relaciones profesionales y de amistad con otros profesionales que trabajan en el mundo de la apnea obstructiva del sueño (AOS).

—Una de las novedades de este año es que se celebrará, además, de forma conjunta, la Reunión Anual de la European Academy of Dental Sleep Medicine (EADSM). ¿Qué aportará a los asistentes al congreso la celebración de esta reunión europea?

—Lo podría resumir en que la realización conjunta de nuestro congreso con la reunión anual de la EADSM aportará mayor riqueza y diversidad al congreso. Normalmente, los

«La apnea obstructiva del sueño es una patología que no puede ni debe abordarse sin el concurso de diversos profesionales de la salud»

congresos de la SEMDeS son muy interesantes y suelen tener algún ponente internacional, pero hacerlo con la EADSM nos asegura una ampliación de la visión de la Medicina Dental del Sueño, con ponentes provenientes de varios países europeos como España, Bélgica, Dinamarca, Portugal y Francia, además de otros de América, como México y Canadá. La tarde del viernes del 22 de noviembre se dedicará íntegramente a la parte de la reunión anual de la EADSM y habrá traducción al español.

—¿Cuáles serán los temas estrella de esta doble cita científica?

—Se busca un equilibrio entre todos los temas importantes que abordan la Medicina Dental del Sueño: desde la ayuda en el diagnóstico y seguimiento hasta los distintos tratamientos que el dentista puede ofrecer al paciente con

«Con este congreso se busca un equilibrio entre todos los temas importantes que abordan la Medicina Dental del Sueño: desde la ayuda en el diagnóstico y seguimiento hasta los distintos tratamientos que el dentista puede ofrecer al paciente con AOS»

topográfico y varios de sus tratamientos quirúrgicos y no quirúgicos los realiza el otorrinolaringólogo y uno de los tratamientos quirúrgicos más eficaces que hay, el avance bimaxilar, lo realiza el cirujano maxilofacial. Por eso es bueno que estemos interconectados y que intercambiemos información en nuestros congresos.

—¿Qué le puede aportar a un profesional de la Odontología asistir al próximo Congreso Nacional de SEMDeS?

—Como dentista, uno puede acudir a este congreso por varios motivos: el más frecuente es el de actualizar sus conocimientos sobre Medicina Dental del Sueño, pero también es una excelente oportunidad para introducirse en esta disciplina de la Odontología.

AOS. En este congreso brillarán charlas sobre nuevas tecnologías o la inteligencia artificial aplicadas al diagnóstico, cómo enfocar/ solucionar los diversos problemas que pueden surgir cuando tratamos pacientes con férulas de avance mandibular, así como las diversas técnicas que la ortodoncia puede aportar para la prevención y el tratamiento del niño o adulto con AOS.

—Dentistas, neumólogos, neurofisiólogos clínicos, otorrinolaringólogos y cirujanos maxilofaciales formarán parte del panel de expertos del congreso. ¿Por qué es importante esta colaboración interdisciplinar entre dichos profesionales para el diagnóstico y tratamiento del paciente con patologías relacionadas con el sueño?

—La AOS es una patología que no puede ni debe abordarse sin el concurso de diversos profesionales de la salud; entre ellos, el dentista. Por ello es ideal que estemos todos representados en el congreso. El diagnóstico no se puede establecer sin la realización de una polsisomnografía o una poligrafía respiratoria, que suele estar informada por un neumólogo o un neurofisiólogo clínico. El tratamiento más eficaz para la AOS, la CPAP, lo realiza el neumólogo. El diagnóstico

Otro motivo es la posibilidad de establecer contactos con otros compañeros que también trabajen en la Medicina Dental del Sueño, y poder aprender con y de ellos o establecer colaboraciones.

El formato del congreso, con un número no excesivo de asistentes (se esperan unos 250), hace relativamente fácil que podamos conocernos la mayoría, y las dos cenas y actividades precongreso nos dan una excusa para hacerlo de una forma natural y agradable. ●

MÁS

INFORMACIÓN

¿CUÁNTO TIEMPO PIERDES ELIGIENDO

COLOR ADECUADO?

¡Una sola jeringa para una combinación cromática extrema!

OMNI CHROMA es un producto innovador y revolucionario que expresa la máxima capacidad de correspondencia cromática con la más amplia gama de tonos y colores, cubriendo así las tonalidades clásicas de VITA con un solo matiz de composite. Todo esto gracias a la Smart Chromatic Technology, patentada por TOKUYAMA, que otorga al color su dimensión «física». Sin pigmentos añadidos.

Descubre la gama completa

Distribuidor
del mundo Tokuyama

Congresos

FRANCISCO GUTIÉRREZ

Presidente de la Asociación Científica

Andaluza para la Divulgación de la Prótesis Dental (ACADEN)

Granada acogerá, del 15 al 17 de noviembre, el XXIX Congreso Anual de ACADEN, una cita, en palabras del presidente de la entidad, «que ofrecerá a los asistentes un programa de interés científico con profesionales del más alto nivel técnico y gran capacidad de comunicación».

Del 15 al 17 de noviembre, la Asociación Científica Andaluza para la Divulgación de la Prótesis Dental (ACADEN) ce lebrará en Granada su XXIX Congreso Anual. Con tantas ediciones a sus espaldas, ¿cómo consiguen superarse edición tras edición? ¿Cuál es el secreto del éxito?

—Creo que el éxito radica en la experiencia, en ponerle corazón y la misma ilusión de cuando organizamos nuestro primer congreso. Además, ACADEN cuenta con la inestimable colaboración de las empresas que, año tras año, acuden a nuestro congreso.

Tengo que señalar y agradecer a tantos y tantos profesionales que ponen a nuestro alcance su conocimiento y que no dudan en acudir a nuestra llamada, ya que, gracias a ellos, conseguimos confeccionar programas muy atractivos y espectaculares.

—¿Con qué objetivos se ha diseñado el programa científico de este año?

—Nuestro objetivo es contar con grandes profesionales que nos muestren sus conocimientos para trasladar sus experiencias a nuestro quehacer diario y lograr mejores resultados en nuestros laboratorios.

—El programa cuenta con nueve conferencias del más alto nivel. ¿Quiénes serán los encargados de impartirlas?

—Cuando confeccionamos el programa de conferencias, siempre procuramos que haya variedad y calidad en las ponencias y, para ello, intentamos que estén con nosotros profesionales del más alto nivel técnico y con gran capacidad de comunicación. Considero que el programa técnico científico de este año va a ser extraordinariamente espectacular, ya que estarán con nosotros August Bruguera, Nondas Vlachopoulos, José María Fonollosa, Waldo Zarco, Justo Rubio, David Cabeza, Ricardo Schafer, Diogo Firmino y Mario Pace.

Quisiera hacer una mención especial a nuestro August Bruguera, que tiene la gentileza de acompañarnos siempre que se le solicita.

«Nuestro objetivo es contar con grandes profesionales que nos muestren sus conocimientos para trasladar sus experiencias a nuestro quehacer diario»

—También habrá talleres prácticos de la mano de grandes casas comerciales. ¿Qué podrán llevarse a casa los profesionales que acudan a estos seminarios para poner en práctica en sus laboratorios?

—La idea de los talleres es que los protésicos que acudan al congreso tengan la oportunidad de asistir a charlas y demostraciones sobre materias que son de su interés y que están impartidas por grandes profesionales que dominan a la perfección la maquinaria, la técnica y los materiales.

—Un mensaje para los profesionales del sector que todavía no se han inscrito. ¿Por qué no se deberían perder esta importante cita científica?

—Creo que el programa tiene suficiente interés técnico y científico para no perdérselo, pero puedo añadir que, como siempre, Granada os espera con los brazos abiertos para darnos ese abrazo que, en estos tiempos, tanto necesitamos. No quiero terminar sin agradecer a colaboradores, conferenciantes, monitores de talleres y empresas expositoras su fidelidad con ACADEN año tras año. Sin todos ellos, no sería posible. ●

MÁS INFORMACIÓN

Productos

Nuevo set Fidelis de cirugía guiada

Entre los lanzamientos de Ticare este 2024 destaca el nuevo set Fidelis de cirugía guiada, que presenta varias mejoras entre las que resalta una instrumentación simplificada para mayor sencillez y su precisión de guiado. Este set se presenta sin cucharillas y con perfiladoras incorporadas en las fresas. Es completamente desmontable para su limpieza.

https://www.ticareimplants.com/

SIMPLEX model isolation de Renfert

Desarrollado originalmente para ser utilizado con modelos impresos por filamento (FFF/FDM), el aislante también ha demostrado ser muy eficaz con modelos fabricados mediante otros procesos de impresión (DLP, SLA), lo que lo convierte en la solución ideal para todo tipo de modelos impresos en 3D. SIMPLEX model isolation actúa de forma suave pero eficaz. El aislante listo para usar no provoca reacciones químicas en la resina.

https://www.renfert.com/es-es/

PT-A de Woodpecker de RUMAR

Está compuesto por un escalador ultrasónico y un aeropulidor de bicarbonato/ glicina, que permite realizar tratamientos periodontales y endodónticos (subgingivales y supragingivales) de forma precisa, eficaz e indolora. El aeropulidor es ideal para pulir, sin producir arañazos en la superficie dental ni daños leves en los tejidos blandos. Además, ambas piezas de mano son divisibles y autoclavables.

www.rumarcedeira.com/novedades-aparatologia/

MASTERmatic LUX M45 L de KaVo

KaVo ahora lanza un nuevo contra-ángulo de alta velocidad para hacer el trabajo diario de los dentistas aún más ergonómico y eficiente: el MASTERmatic LUX M45 L. Con su exclusiva combinación de ángulos de cabeza y mango, asegura un acceso mejorado y más ergonómico a la región molar. También está equipado con la tecnología KaVo CoolHead, que previene el sobrecalentamiento de la cabeza del instrumento en caso de una presión involuntaria del botón durante el tratamiento.

https://www.kavo.com/es-es

VITABLOCS TriLuxe forte

En virtud de su transición cromática integrada, los bloques VITABLOCS TriLuxe forte son idóneos para la confección CAD/CAM de coronas y carillas en la zona visible. Las cuatro capas de intensidad garantizan un juego de colores y luces natural, lo más cercano posible a la estética de los dientes naturales. El material presenta una microestructura fina especial, que le otorga una gran facilidad de pulido y resistencia a la abrasión demostradas.

www.vita-zahnfabrik.com/vitablocs_TP6_Multicolor.html

Prótesis personalizada BioCAM

BioCAM es la prótesis personalizada con mecanizado especialmente preciso en la conexión que proporciona un ajuste con tecnología gapZero. Los beneficios de una conexión con gapZero, libre de filtración bacteriana, son un mejor mantenimiento de hueso y un menor riesgo de periimplantitis. El centro de fresado BioCAM realiza un mecanizado de alta precisión para mayor calidad y menor aflojamiento de tornillo seguido de una verificación del 100% de las piezas y trabajos.

https://www.ticareimplants.com/

Puesta al día en prótesis sobre implantes

Organiza: Ticare.

Imparte: la Dra. Ana Orozco y el Dr. Pablo Domínguez. Fecha y lugar: el 4 de octubre de 2024 en el Colegio de Dentistas de Extremadura. www.ticareimplants.com/formacion

Cirugía regenerativa en Implantología

Organiza: Universidad Complutense de Madrid (UCM).

Imparte: Dr. Juan López-Quiles.

Fecha y lugar: el primer módulo se celebrará del 31 de enero al 1 de febrero de 2025 en la UCM.

Teléfono e e-mail: 913 941 906 - odonfpermanente@ucm.es https://odontologia.ucm.es/f-permanente-cursos

DDS State of the Art Conference

Organiza: Digital Dentistry Society.

Fecha y lugar: 18 y 19 de octubre de 2024 en Florencia.

Teléfono e e-mail: 636 830 325 - info@bedentalexpert.com https://bedentalexpert.com/cursos/dds-state-of-the-art-conference/

Máster en Dirección y Transformación de clínicas dentales

Organiza: Instituto de Desarrollo Odontológico Digital (IDEOD). Dirige: Sofía Solano.

Fecha y lugar: de octubre de 2024 a junio de 2025. Doble convocatoria. Sevilla/Madrid. Teléfono e e-mail: 659 862 391 - info@institutoideo.es www.institutoideod.es

Alineadores in-house: el siguiente paso en la digitalización de tu clínica

Organiza: Ortocervera - Instituto de Ortodoncia.

Imparten: Dra. Isabel Cervera, Dr. Alberto Cervera y Dra. Mónica Simón.

Fecha: comienza en septiembre de 2024.

Teléfono: 915 541 029 www.ortocervera.com

Taller

«Aumento de dimensión vertical con la técnica de inyección»

Organiza: GC Ibérica Dental.

Imparte: Francisco Troyano.

Fecha y lugar: 19 de septiembre de 2024 en Madrid. Teléfono e e-mail: 916 364 340 - formacion@spain.gceurope.com https://europe.gc.dental/es-ES/education/courses

Actualización en implantes y regeneración ósea

Organiza: Ticare.

Imparten: Dres. Marcelo Clermont y Jerián González. Fecha y lugar: 25 de octubre de 2024 en Madrid. www.ticareimplants.com/formacion

Técnica S.M.A.R.T

Organiza: BeiDE.

Aplicación clínica del avance mandibular para el tratamiento de la AOS

Organiza: Ortocervera - Instituto de Ortodoncia. Imparte: Dra. Mónica Simón Pardell. Fecha: libre elección de fecha de celebración.

Teléfono: 915 541 029 www.ortocervera.com

Imparte: Dr. Ernesto Lee. Fecha y lugar: 4 y 5 de octubre de 2024 en Madrid. Teléfono e email: 636 830 325 - info@bedentalexpert.com https://bedentalexpert.com/cursos/s-m-a-r-t-subperiosteal-minimally-invasiveaesthetic-ridge-augmentation-technique/

Título Especialista Universitario en Estética Dental

Organiza: CEOdont.

Imparten: Dres. José A. de Rábago Vega, Guillermo Pradíes, Óscar González, Álvaro Ferrando y David Montalvo. Teléfonos e e-mail: 915 530 880 - 680 338 317 - cursos@ceodont.com Consta de 9 módulos en distintas fechas. www.ceodont.com

Jornada de «Fundamentos básicos en Cirugía Ortognática y Ortodoncia Quirúrgica»

Organiza: Ortoplus. Fecha y lugar: 18 de octubre de 2024 en Málaga. E-mail: cursos@ortoplus.es ortognatica.ortoplus.es

Nueva oferta formativa del Colegio Profesional de Higienistas Dentales de Madrid

Organiza: Colegio Profesional de Higienistas Dentales de la Comunidad de Madrid. Fechas y lugares: a consultar en la página web. https://colegiohigienistasmadrid.org/od2024.asp

VEN CON NOSOTROS: ÚNETE A SEI

NUESTRAS NUEVAS Y PRÓXIMAS APUESTAS

JORNADAS DE FORMACIÓN ONLINE Y CURSO MODULAR-PRESENCIAL DE ACTUALIZACIÓN

EN IMPLANTOLOGÍA ORAL

Bonificado para socios. Se acreditarán oficialmente las actividades.

CASOS CLÍNICOS

Se ha creado una sección en la web para que los socios publiquen aquellos casos clínicos que consideren oportunos. Cada año se premiará al mejor caso presentado.

REVISTA AVANCES-SEI

Para publicar todos aquellos artículos que, como socio, consideres oportuno.

SEI SIEMPRE CONTINUARÁ INNOVANDO

EN LA IMPLANTOLOGÍA ORAL, COMO DESDE SU FUNDACIÓN, EN 1959

Curso «Maximizar la terapia de implantes y minimizar las secuelas de periimplantitis»

Organiza: Ticare.

Imparten: Dres. Ramón Lorenzo y Javier Sánchez.

Fecha y lugar: 4 de octubre de 2024 en Barcelona. www.ticareimplants.com/formacion

Curso intensivo de regeneración ósea

Organiza: Osteógenos.

Imparte: Dr. José Sirvent Iniesta.

Fecha y lugar: 4 de octubre de 2024 en Barcelona.

Teléfeno e e-mail: 696 962 892 - formacion@osteogenos.com www.osteogenos.com

Minec Summit 2025

Organiza: Consejo Científico Minec (MegaGen International Network of Education & Clinical Research).

Imparten: Dres. Fernando Cebrián, Miguel Murua, Félix Wucherpfennig, Ramón Gómez Meda y Marcus Engelschalk.

Fecha y lugar: 31 de enero de 2025 y 1 de febrero de 2025 en Madrid. E-mail: hola@minec.es www.minec.es/summit

Máster en Ortodoncia y Ortopedia Dentofacial

Organiza: Instituto de Desarrollo Odontológico Digital (IDEOD) - Universidad Antonio de Nebrija Formación (NFC). Dirige: Dr. Enrique Solano.

Fecha y lugar: 3 años a tiempo parcial. Inicio en septiembre de 2024. Sevilla. Acreditaciones: 180 ECTS. Certificación Invisalign incluida. Teléfono e e-mail: 659 862 391 - info@institutoideo.es www.institutoideod.es

Máster de Formación Permanente en Endodoncia 27ª Edición

Organiza: Fundació Lluís Alcanyís – Universitat de València.

Dirige: Dr. Leopoldo Forner Navarro.

Fecha y lugar: comienza el 4 de octubre de 2024 y finaliza el 19 de diciembre de 2025 en Valencia.

Teléfono e e-mail: 963 395 037 - formaciofla@uv.es https://go.uv.es/H4FK8AM

¿Te gustaría aprender o mejorar tu nivel de FOTOgrafía Dental?

Organiza: Fernando Rey FOTOgrafía Dental. Cursos personalizados grupales o individuales. Cursos tanto de nivel clínico como avanzado. Ofrecen diseño de presentaciones, conferencias y comunicaciones modernas, elegantes y dinámicas. www.fotografiadentalfr.com/

Webinario «Ortodoncia invisible, Periodoncia e implantes»

Organiza: Ticare.

Imparte: Dra. Marta Cuadra.

Fecha y lugar: 16 de septiembre de 2024 en formato online. https://www.implant-training.es/

Curso de Periodoncia y nanotecnología láser

Organiza: BeiDE.

Imparte: Dr. Francisco Rodríguez Escudero. Fecha y lugar: 20 de septiembre de 2024 en Madrid.

Teléfono e e-mail: 636 830 325 - info@bedentalexpert.com https://bedentalexpert.com/cursos/nanotecnologia-en-el-tratamiento-de-laperiodontitis-y-la-periimplantitis-ntpp/

Diploma de Experto en Odontopediatría Clínica

Organiza: Instituto de Desarrollo Odontológico Digital (IDEOD) - Universidad Antonio de Nebrija Formación (NFC).

Dirige: Dra. Asunción Mendoza.

Acreditaciones: 20 ECTS.

Fecha y lugar: 9 meses a tiempo parcial. Inicio en septiembre de 2024. Sevilla. Teléfono e e-mail: 659 862 391 - info@institutoideo.es www.institutoideod.es

Curso

«Aplicaciones intraorales y extraorales del ácido hialurónico»

Organiza: Osteógenos.

Imparte: Dr. Juan Carrión.

Fecha y lugar: 22 y 23 de noviembre de 2024 en Madrid. Teléfono e e-mail: 696 962 892 - formacion@osteogenos.com www.osteogenos.com

Curso «Manejo de tejidos duros y blandos alrededor de dientes e implantes»

Organiza: Salugraft Dental.

Imparten: Dres. Alberto Ortiz-Vigón y Erik Regidor. Fecha y lugar: 25 de octubre de 2024 en Bilbao. https://salugraftdental.com/curso/curso-salugraft-manejo-tejidos-blandos-y-durosperiocentrum-bilbao/

Curso de alineadores

Organiza: Ortocervera - Instituto de Ortodoncia.

Imparten: Dra. Isabel Cervera, Dr. Alberto Cervera y Dra. Mónica Simón. Fechas: del 7 al 9 de noviembre de 2024 (primer módulo) y del 28 al 30 de noviembre de 2024 (segundo módulo).

Teléfono: 915 541 029 www.ortocervera.com

Implantología clínica: técnicas quirúrgicas y procedimientos restauradores

Organiza: Universidad Complutense de Madrid (UCM).

Imparte: Prof. Dr. Guillermo Pradíes y Profa. Dra. Cristina Madrigal.

Fecha: consta de 6 módulos. Desde el 24-25 enero de 2025 hasta el 14-15 de noviembre de 2025 en la UCM.

Teléfono e e-mail: 913 941 906 - odonfpermanente@ucm.es https://odontologia.ucm.es/f-permanente-cursos

Curso

intensivo de elevación sinusal

Organiza: Osteógenos.

Imparten: Dres. Alfonso García Pérez y Carlos Martínez Barcenilla.

Fecha y lugar: 22 de noviembre de 2024 en Madrid.

Teléfono e e-mail: 696 962 892 - formacion@osteogenos.com www.osteogenos.com

Avances en regeneración ósea y de tejidos blandos

Organiza: BeiDE y Urban Regeneration Institute.

Imparte: Dr. Istvan Urban.

Fecha y lugar: 22 de febrero de 2025 en Madrid. Teléfono e e-mail: 636 830 325 - info@bedentalexpert.com https://bedentalexpert.com/cursos/urban-day-regeneracion-osea-y-de-tejidosblandos/

Máster de Formación Permanente en Odontología en Pacientes con Necesidades Especiales 31ª Edición

Organiza: Fundació Lluís Alcanyís – Universitat de València. Dirigen: Dr. Javier Silvestre Rangil, Dra. Victoria Isabel Martínez Mihi y Dr. Francisco Javier Silvestre Donat. Fecha y lugar: comienza el 3 de octubre de 2024 y finaliza el 29 de septiembre de 2025 en Valencia.

Teléfono e e-mail: 963 395 037 - formaciofla@uv.es https://go.uv.es/R0sEeHL

Formación Exocad para clínicas dentales

Organiza: BEGO Iberia.

Imparte: Pere Colomina.

Fecha y lugar: diversas fechas (online/presencial).

Teléfono e e-mail: 933 720 325 - begoiberia@bego.com https://iberia.bego.com/

Máster Propio en Cirugía Bucal, Implantología Bucofacial y Periodoncia

Organiza: Universidad CEU Cardenal Herrera. Fecha y lugar: de septiembre de 2024 a julio de 2026 en Alfara. Teléfono e e-mail: 961 369 009 - postgrados@uchceu.es https://www.uchceu.es/estudios/posgrado/master-propio-cirugia-bucalimplantologia-bucofacial

Curso intensivo: «Descubre el novedoso tratamiento vestibular Socket Therapy»

Organiza: Osteógenos.

Imparte: Dr. Abdelsalam Elaskary.

Fecha y lugar: 29 y 30 de noviembre de 2024 en Madrid.

Teléfono e e-mail: 696 962 892 - formacion@osteogenos.com www.osteogenos.com

Título Experto Universitario en Endodoncia

Organiza: CEOdont.

Imparte: Dr. Juan Manuel Liñares Sixto. Teléfonos e e-mail: 915 530 880 – 680 338 317 - cursos@ceodont.com Consta de varios módulos en diferentes fechas. www.ceodont.com

Curso de Ortodoncia Interceptiva y Ortopedia Dentofacial

Organiza: Ortoplus. Fecha y lugar: 25 y 26 de octubre de 2024 en Málaga. E-mail: cursos@ortoplus.es www.ortoplus.es/cursos

Nuevo

Curso de Periodoncia para higienistas dentales

Organiza: Instituto de Desarrollo Odontológico Digital (IDEOD) - CEU Fundación San Pablo Andalucía.

Dirige: Dra. Patricia Solano.

Fecha y lugar: Comienza en septiembre de 2024 en Sevilla. 5 ECTS. Teléfono e e-mail: 659 862 391 - info@institutoideo.es www.institutoideod.es

enfoque multidisciplinar para rehabilitaciones estéticas del sector posterior

Organiza: BeiDE.

Imparte: Dr. Marco Veneziani.

Fecha y lugar: 24 y 25 de enero de 2025 en Madrid. Teléfono e e-mail: 636 830 325 - info@bedentalexpert.com https://bedentalexpert.com/cursos/nuevo-enfoque-multidisciplinar-pararehabilitaciones-esteticas-del-sector-posterior/

Máster Universitario en Ortodoncia y Ortopedia Dentofacial

Organiza: Universidad CEU Cardenal Herrera. Fecha y lugar: de septiembre de 2024 a julio de 2026 en Alfara. Teléfono e e-mail: 961 369 009 - postgrados@uchceu.es https://www.uchceu.es/estudios/posgrado/master-universitario-ortodonciaortopedia-dentofacial

Manejo

de tejidos blandos para la regeneración ósea horizontal y vertical

Organiza: BioHorizons Camlog.

Fecha y lugar: 27 de septiembre de 2024 en Madrid.

Teléfono: 917 131 084

https://www.biohorizonscamlog.es/es/formacion

Postgrado de Especialización en Endodoncia 4ª Edición

Organiza: Fundació Lluís Alcanyís – Universitat de València.

Dirigen: Dr. Leopoldo Forner Navarro y Dr. Adrián Lozano Alcañiz.

Fecha y lugar: comienza el 17 de octubre de 2024 y finaliza el 22 de octubre de 2027 en Valencia.

Teléfono e e-mail: 963 395 037 - formaciofla@uv.es https://go.uv.es/32cP3xL

Curso «Digitaliza tu clínica: toma el control del flujo de trabajo 3D»

Organiza: BEGO Iberia.

Imparte: Pere Colomina y Dr. Diego Sáez.

Fecha y lugar: 4 de octubre de 2024 en León.

Teléfono e e-mail: 933 720 325 - begoiberia@bego.com https://iberia.bego.com/

Experto en Ortodoncia Funcional, Aparatología Fija y Alineadores

Organiza: Ortocervera - Instituto de Ortodoncia.

Imparten: Dr. Alberto Cervera, Dra. Isabel Cervera y Dra. Mónica Simón.

Fecha: comienza el 26 de septiembre de 2024.

Teléfono: 915 541 029 www.ortocervera.com

Máster de Formación Permanente en Cirugía Bucal

Organiza: Universidad CEU Cardenal Herrera. Fecha y lugar: de septiembre 2024 a julio de 2025 en Alfara.

Teléfono e e-mail: 961 369 009 - postgrados@uchceu.es

https://www.uchceu.es/estudios/posgrado/master-formacion-permanente-cirugia-bucal

I Simposio Salugraft

Organiza: Salugraft.

Fecha y lugar: 23 de noviembre de 2024 en Madrid. Este evento científico-benéfico contará con los mejores expertos en regeneración del país.

https://salugraftdental.com/curso/simposio-salugraft/

Postgrado en Implantología

Organiza: CEPUME - Universidad de Alcalá.

Dirige: Dr. José Vicente Sanz.

Fecha y lugar: comienza el 4 de octubre de 2024 y finaliza el 22 de junio de 2025 en Madrid.

Teléfono e e-mail: 648 418 072 - info@cepume.com https://cepume.com/

Soluciones de maquillaje fotopolimerizable

Organiza: GC Ibérica Dental.

Imparte: Sergi Barcía.

Fecha y lugar: 22 de noviembre de 2024 en Madrid.

Teléfono e e-mail: 916 364 340 - formacion@spain.gceurope.com https://europe.gc.dental/es-ES/education/courses

Utilización de implantes cigomáticos en el maxilar atrófico

Organiza: Universidad Complutense de Madrid (UCM).

Imparten: Prof. Dr. José María Martínez-González y Prof. Dr. Juan López-Quiles. Fechas: 14 y 15 de febrero de 2025 (primer módulo); 21 y 22 de febrero de 2025 (segundo módulo).

Teléfono e e-mail: 913 941 906 - odonfpermanente@ucm.es

https://odontologia.ucm.es/f-permanente-cursos

Curso MZM edición 2024: Reconstrucción vertical de tejidos blandos, papilas y periimplantitis

Organiza: Dentariel con la colaboración de BioHorizons Camlog. Fecha y lugar: 12 de septiembre de 2024 en Madrid. Teléfono: 917 131 084 https://www.biohorizonscamlog.es/es/formacion

Título Especialista Universitario en Cirugía y Prótesis sobre Implantes

Organiza: CEOdont.

Imparten: Dres. Mariano Sanz Alonso, José de Rábago Vega, Guillermo Pradíes, Ignacio Snaz y Ana Carrillo.

Teléfonos e e-mail: 915 530 880 - 680 33 83 17 - cursos@ceodont.com Consta de 7 módulos en distintas fechas. www.ceodont.com

Aligner Pro Academy

Organiza: Instituto de Desarrollo Odontológico Digital (IDEOD).

Dirigen: Dra. Elvira Antolín, Dra. Beatriz Solano y Dra. Fara Yeste.

Fecha y lugar: comienza en enero de 2025. Online con sesiones y tutorías de casos clínicos en directo y revisión en diferido.

Teléfono e e-mail: 659 862 391 - info@institutoideo.es www.institutoideod.es

Calendario de congresos

SEPTIEMBRE 2024

Estambul del 12 al 15

Jornadas del Club Tecnológico Dental A Coruña días 13 y 14

SEI Vigo del 26 al 28

CIPRODI Ibiza días 27 y 28

OCTUBRE 2024

HIDES Oviedo días 4 y 5

SEPES Sevilla del 10 al 12

V Congreso Internacional de Prótesis Dental Valencia días 18 y 19

AEDE Sevilla del 31 al 2

NOVIEMBRE 2024 SECIB Girona días 14 y 15 SEOE Valencia día 16

ACADEN Granada del 15 al 17

SEMDES Barcelona del 21 al 23

OMD Lisboa del 21 al 23

ENERO 2025

SOCE Barcelona días 31 y 1

FEBRERO 2025

AAMADE Madrid días 7 y 8

COEM Madrid días 7 y 8

MARZO 2025

Jornadas Técnicas de Prótesis Dental Madrid días 7 y 8

SEOII Murcia del 27 al 29

ABRIL 2025

SEOC Córdoba del 3 al 5

Barcelona Dental Show Barcelona días 10 y 11

MAYO 2025

SEOP Toledo del 8 al 10

SEDCYDO, SEMO, SEGER Madrid del 8 al 10

SEMO Materiales Melilla días 23 y 24

JUNIO 2025

SECOMCyC Santander del 5 al 7

SEdO Murcia del 11 al 14

Cementación de óxido de circonio fácil y económica.

ZirCAD ®

Cement

- Fácil manejo y rápida limpieza con opción de polimerizado adhesivo.

- Resultados de cementación fiables caso tras caso

- Cementación rentable de la marca de primera calidad en la que confía

ivoclar.com Making People Smile

Ofertas Especiales

DESDE EL 1 DE SEPTIEMBRE HASTA EL 31 DE DICIEMBRE DE 2024

Nuevo VarioSurg 4 SISTEMA ULTRASÓNICO DE CIRUGÍA ÓSEA

VarioSurg 4

REF. Y1500706

5.959€*

9.490€*

Incluye:

• Unidad de control

• Pieza de mano LED con cable de 2m

• Pedal de control FC-86

• Cassette de esterilización

• Soporte para pieza de mano

•Tubo de irrigación (3 uds.) y otros accesorios

• Kit básico H-S (H-SG1, SG3, SG5, SG6D, SG7D, SG11 y soporte de puntas)

Características:

•Gran aumento de potencia

•3 modos (CIRUGIA, ENDO, PERIO)

•Modo ráfaga seleccionable (3 frecuencias)

•9 programas (CIRUGIA x 5, ENDO x 2, PERIO x 2)

•Intensidad de luz LED regulable

•Modo de limpieza automático

•Función de retroalimentación

•Función de sintonización automática

•Función de enlace dinámico

CON DOBLE LUZ

Aplicaciones:

Cirugía oral

•Cirugía ósea

•Raspado

•Elevación de seno

•Extracción

•Membrana sinusal

•Preparación de implantes

Perio

•Raspado

•Perio (alisado radicular)

•Mantenimiento

•Endo Retrogrado

• Ofertas limitadas hasta el 31 de diciembre de 2024

* Los precios no incluyen IVA

Surgic Pro2 × VarioSurg 4

El desarrollo del sistema de cirugía ósea por ultrasonidos VarioSurg continúa con la introducción de VarioSurg 4. Con tecnología ultrasónica pionera de alta potencia y una variada gama de puntas para diversos procedimientos, el VarioSurg 4 permite una extracción y conformación óseas rápidas y complejas. Minimiza el daño a los tejidos blandos circundantes y reduce la invasividad en comparación con las sierras óseas y convencionales. Con nuevas ventajas como la integración del pedal inalámbrico, la compatibilidad con Surgic Pro2, y un diseño refinado y elegante, el VarioSurg 4 está preparado para superar las expectativas de los profesionales y crear un entorno sin estrés un entorno sin estrés.

Sistema de Cirugía Ultrasónica

VarioSurg 4 (s/pedal) REF. Y1500712

Micromotor para Implantología

Surgic Pro2 LED REF. Y1004195

Contra-ángulo con luz (Reducción 20:1)**

2× X-SG20 REF. C1003001

Carrito de soporte para ambos sistemas iCart Duo (s/pedal) REF. S9090

Ofertas limitadas hasta el 31 de diciembre de 2024

Turn static files into dynamic content formats.

Create a flipbook
Issuu converts static files into: digital portfolios, online yearbooks, online catalogs, digital photo albums and more. Sign up and create your flipbook.