































































































































































































































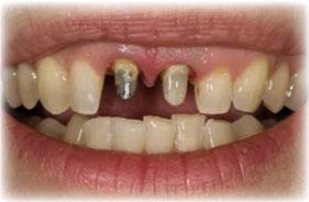
Paso 1:
![]()
































































































































































































































Paso 1:





















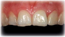
Paso 5:











Paso 2:











NiTin y STRATA G
Sistema de matrices seccionales













Normofill nanoceram Composite estético fotopolimerizable de baja contracción con tecnología de nanorrelleno





























Normofill nanoceram flow Composite fluido fotopolimerizable con tecnología de nanorrelleno

Normofill nanoceram BULK Composite bulk fluido para cavidades de hasta 4mm LANZAMIENTO





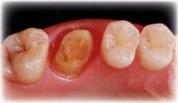
Paso 3:







Paso 4:






NormoETCH Gel tixotrópico con un 37% de ácido fosfórico
Normobond XSE Adhesivo universal
Normobond Dual Catalyst Activador del adhesivo universal normobond XSE



Normofill nanoceram one Composite mimetizable con todos los tonos naturales LANZAMIENTO
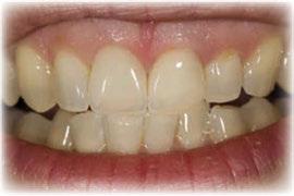
Paso 6:

Paso 7:


Material dirigido a profesionales sanitarios. Estos productos sanitarios pueden tener contraindicaciones y/o efectos adversos. Lea detenidamente las instrucciones de uso antes de su utilización. De conformidad con la legislación vigente de productos sanitarios.
Copyright© 2024 Laboratorios Normon S.A. Todos los derechos reservados.
NORMOLED Lámpara de polimerización dental led
NORMOPUL SPIN
Sistema de pulido de composites en dos pasos
E-max CAD sobre implante
E-max CAD sobre diente natural
E-max CAD sobre diente natural


E-max CAD sobre implante


E-max CAD técnica “Cut-back”
E-max CAD sobre implante


E-max CAD técnica “Cut-back”
E-max CAD técnica “Cut-back”
E-max CAD “Monolítico”

E-max CAD “Monolítico” Pre
E-max CAD “Monolítico”
le ofrece:
Pre



innovador Disilicato de Litio (LS2) del sistema de cerámica
le ofrece:
IPS e.max CAD no solo ofrece una altísima estética que también es de 2,5 a 3 veces más resistente 360 que el resto de cerámicas de vidrio. Por ello, este material cubre todos los requerimientos estéticos y también representa una alternativa eficiente a las restauraciones unitarias ZrO2. (Zirconio)
le ofrece:
El innovador Disilicato de Litio (LS2) del sistema de cerámica vítrea IPS e.max CAD no solo ofece una altísima estética sino que también es de 2,5 a 3 veces más resistente 360 MPa que el resto de cerámicas de vidrio. Por ello, este material cubre todos los requerimientos estéticos y también representa una alternativa eficiente a las restauraciones unitarias de Zr02 (Zirconio).
El innovador Disilicato de Litio (LS2) del sistema de cerámica vítrea IPS e.max CAD no solo ofrece una altísima estética sino que también es de 2,5 a 3 veces más resistente 360 MPa que el resto de cerámicas de vidrio. Por ello, este material cubre todos los requerimientos estéticos y también representa una alternativa eficiente a las restauraciones unitarias de ZrO2. (Zirconio)



IPS e.max está avalado por la experiencia clínica que ha demostrado durante años, tanto en estética como en resistencia. La amplitud de elección del material, según el caso, en conjunción con la técnica empleada en nuestro laboratorio dotarán a los trabajos de la mayor estética para sus pacientes.
IPS e.max está avalado por la experiencia clínica que ha demostrado durante años, tanto en estética como en resistencia. La amplitud de elección del material, según el caso, en conjunción con la técnica empleada en nuestro laboratorio dotarán a los trabajos de la mayor estética para sus pacientes.
IPS e.max está avalado por la experiencia clínica que ha demostrado durante años, tanto en estética como en resistencia. La amplitud de elección del material, según el caso, en conjunción con la técnica empleada en nuestro laboratorio dotarán a los trabajos de la mayor estética para sus pacientes.



Núm. 369 Octubre 2024 | 6,50€ gacetadental.com

A pesar de la tormenta, el arcoíris que decoró el cielo de Madrid pasado el aguacero auguraba una noche mágica. Y así fue. La gala de los 27 Premios Gaceta Dental queda ya para el recuerdo. ¡Y qué gran recuerdo! Meses de duro trabajo de todo el equipo y de muchos nervios, sobre todo, el gran día -multiplicados por las implacables predicciones meteorológicas-, ahora sí que puedo decir que valieron la pena.
27 Premios GD
En estas líneas quiero expresar, una vez más, mi enhorabuena a los galardonados, los grandes protagonistas y razón de ser de nuestros premios. Lógicamente también a los patrocinadores y colaboradores, en total, más de sesenta firmas del sector que han apostado por asociar sus marcas a la excelencia y buen hacer en el sector odontológico y, cómo no, a las más de 300 personas que nos acompañaron en la Real Fábrica de Tapices de Madrid en una convocatoria que encara la treintena.
Brillo, emoción y magia en una gala
inolvidable
Como buena anfitriona me gusta estar pendiente de los detalles y cuidar a los invitados, pero con tanto estrés, siempre me queda un sabor agridulce: conversaciones cortadas, otras ni
siquiera iniciadas, personas queridas a las que no viste, la foto que prometiste que finalmente no se hizo, ausencias de última hora… Lo importante es que las malas sensaciones se difuminan rápidamente porque ¡qué gran suerte de sector! Las horas siguientes a la gala, mi móvil y buzón de correo se llenaron de felicitaciones, tantas que me han tocado «la patata» como nunca. Cierto es que vivo una etapa complicada en lo personal, sin embargo, al margen de estos baches de la vida, que se nos presentan a todos, me siento tan, tan agradecida. Estos elogios -quienes estuvisteis en la gala sabéis que esta palabra no está elegida al azar. Y hasta ahí puedo leer, ya que no quiero reventar los trucos de nuestro maestro de ceremonias, el gran Vicente Lucca- no caen en saco roto. Son un impulso para todo el equipo de Gaceta Dental, una inyección de energía para seguir trabajando duro, creciendo e innovando por y para vosotros.
¡Empezamos a trabajar ya en la edición de los Premios GD 2025! ¡Os esperamos!
Gema Bonache
Directora de Gaceta Dental














































Exclusivo proceso de producción in-house: todas las fases de producción se realizan internamente
La línea KATANA™ Zirconia está basada en la innovadora tecnología multicapa, patente exclusiva de Kuraray Noritake
4 tipologías de Zirconia para satisfacer las diversas exigencias clínicas
Un sistema completo de productos perfectamente coordinados para garantizar resultados excelentes
Kuraray Europe Spain S.L.
Avda. del Tivoli, C.C. „Las Ventas“, Local 37 y 38 - 29631
Arroyo de la Miel (Benalmádena), Málaga
Teléfono: 0039 02 63471228
Correo Electrónico: dental-iberia@kuraray.com Web: www.kuraraynoritake.eu/es
-El sector dental no faltó a su cita anual con los Premios GD. Más de 300 profesionales se congregaron en la Real Fábrica de Tapices de Madrid para celebrar y reconocer el talento y la excelencia en la Odontología.
-Descubre premio a premio quiénes fueron los galardonados.
-Galería fotográfica de los 27 Premios GD... ¡y muchas más imágenes en nuestra web!
Di2gitalArch® Standard Stacked: carga inmediata en el día. Prótesis final de circonio sectorizado, por el Dr. Luis Cuadrado Canals.
-Tratamiento del tabaquismo en la consulta dental (II), por la Dra. Regina Izquierdo y cols. [76] 3 89 12 62

-Clase III esquelética tratada con alineadores y anclaje esquelético. Caso clínico, por el Dr. César Martínez. [62]






90% El lo considera clave para el exito del tratamiento


Reduce riesgos, optimiza tu práctica. Descubre gapZero

Con gapZero Technology cuidas mejor a tus pacientes y tu práctica clínica. Los estudios clínicos lo avalan: minimiza el riesgo de periimplantitis y la pérdida ósea. gapZero significa menos complicaciones, tiempo en intervenciones y costes asociados. Gana en resultados, confianza y tranquilidad. Sólo con implantes Ticare y con aditamentos originales.

*Fuente: estudio Key-Stone

El enfoque multidisciplinario, clave para el manejo del bruxismo.


Dr. Borja Zabalegui Premio Santa Apolonia 2023 [100]
Dr. Daniel Torres Premio Dentista del Año 2023 [108]
Restauraciones digitales sobre implantes (II). Toma de impresiones digitales y manejo de la información (I), por el Dr. Giuliano Fragola.


NUEVO IMPLANTE


POR 3 RAZONES:
1. Estabilidad primaria y osteocondensación mejoradas.
2. Mayor osteointegración, mediante la superficie UnicCa ® .
3. Simplicidad protésica. Una sola conexión para toda la gama.

BTIDAY
CELEBRA CON NOSOTROS
EL 25 ANIVERSARIO DE BTI
EDITA
Peldaño
DIRECTORA
Gema Bonache gbonache@gacetadental.com
PUBLICIDAD
Ana Santamaría Directora de ventas ana@gacetadental.com
Marta Pérez marta@gacetadental.com
Manuela Bino i mbinotti@gacetadental.com
JEFE DE PRODUCCIÓN
Miguel Fariñas
HEAD OF DESIGN
Juan Luis Cachadiña
COPYWRITER
Sandra Rodríguez srodriguez@gacetadental.com
REDACTORA
Patricia Merino pmerino@gacetadental.com
TIENDA GD
Francisco Soriano paco@gacetadental.com
Jorge Cacuango jorge@gacetadental.com
A
OFICINAS Y REDACCIÓN
Avda. Manzanares, 196 28026 Madrid 91 476 80 00
DISEÑO Y MAQUETACIÓN
Débora Martín Cristina Corchuelo
IMPRIME
Grafinter S. L.
Av. de Castilla, 14, 28830 Polígono de San Fernando de Henares, Madrid
CONSEJO DE INNOVACIÓN Y EXCELENCIA
SUSCRIPCIONES Y DISTRIBUCIÓN
suscripciones@peldano.com 902 35 40 45
DEPÓSITO LEGAL
M.35.236-1989 ISSN 1135-2949
CIENCIA Y CLÍNICA: Dr. José Aranguren, Dra. Estefanía Laguna, Dr. Juan López-Quiles, Dra. Estefanía Moreno, Dr. Jesús Peláez Rico, Dr. Luis Segura-Mori · FORMACIÓN Y CONOCIMIENTO: Dr.Juan Carlos Vara, Dra. María José Muñoz, Dr. Simón Pardiñas · TECNOLOGÍA E INNOVACIÓN: Dr. Luis Cuadrado de Vicente, Dra. Irene García
INTERNACIONAL: Dr. Joao Caramés, Dr. Cristian Abad
SUSCRIPCIÓN
Presidente: Ignacio Rojas · CEO: Lourdes Álvarez ·Director Financiero y de Talento: Daniel R. Villarraso
Director de Marca y Estrategia: Eneko Rojas · Director de Estrategia de Contenidos: Adrián Beloki
Directora de Estrategia Comercial: María Rojas · Directora de Marketing: Miriam Egea
Directora de Eventos: Yaiza Pascual

Los artículos científicos y clínicos que se publican en Gaceta Dental son supervisados por un grupo de expertos en las distintas ramas de la Odontología. Gaceta Dental no se identifica necesariamente con las opiniones expresadas libremente en sus páginas por los colaboradores.
Publicación autorizada por el Ministerio de Sanidad como soporte válido. Ref: S.V 89057 R. Premio aeepp a la mejor revista de 2008 | 1er Accesit al Mejor Editor, años 2004 y 2007 | Premio «Pro-Odontología» de la Sociedad Catalana de Odontología y Estomatología (scoe) 2009 | Premio «Fomento de la Salud» del Consejo General, 2005 | Premio del Colegio de Protésicos de la Comunidad de Madrid a la Trayectoria Profesional 2009 | Insignia de oro Colegial del COEM 2013.
AVISO LEGAL Y TRATAMIENTO DE DATOS
La opinión de los artículos publicados no es compartida necesariamente por la revista, y la responsabilidad de los mismos recae, exclusivamente, sobre sus autores. Cualquier forma de reproducción, distribución, comunicación pública o transformación de esta obra solo puede ser realizada con la autorización de sus titulares, salvo excepción prevista por la ley, y en el caso de hacer referencia a dicha fuente, deberá a tal fin ser mencionada GACETA DENTAL editada por Peldaño, en reconocimiento de los derechos regulados en la Ley de Propiedad Intelectual vigente, que como editor de la presente publicación impresa le asisten. Los archivos no deben modificarse de ninguna manera. Diríjase a CEDRO (Centro Español de Derechos Reprográficos) si necesita fotocopiar o escanear algún fragmento de esta obra (www.conlicencia.com / 917 021 970 / 932 720 445). De conformidad con lo dispuesto en el Reglamento (UE) 2016/679 del Parlamento Europeo y del Consejo, de 27 de abril de 2016, relativo a la protección de las personas físicas en lo que respecta al tratamiento de datos personales y a la libre circulación de estos datos y por el que se deroga la Directiva 95/46/CE, y de conformidad con la legislación nacional aplicable en materia de protección de datos, le recordamos que sus datos están incorporados en la base de datos de PELDAÑO MEDIA GROUP, S. L., como Responsable de Tratamiento de los mismos, y que serán tratados en observancia de las obligaciones y medidas de seguridad requeridas, con la finalidad de gestionar los envíos en formato papel y/o digital de la revista, de información sobre novedades y productos relacionados con el sector, así como poder trasladarle, a través nuestro o de otras entidades, publicidad y ofertas que pudieran ser de su interés, de conformidad con el consentimiento prestado al solicitar su suscripción expresa y voluntaria a la misma, cuya renovación podrá ser requerida por Ediciones Peldaño en cumplimiento del citado Reglamento. Le informamos que podrá revocar dicho consentimiento, en cualquier momento y en ejercicio legítimo de los derechos de acceso, rectificación, cancelación, oposición, portabilidad y olvido, dirigiéndose a PELDAÑO MEDIA GROUP, S. L., Avda. Manzanares, 196. 28026 Madrid, o al correo electrónico distribucion@peldano.com.
19 años al servicio de distribuidores y servicios técnicos dentales
20 años al servicio de distribuidores y servicios técnicos dentales




¡Siempre






El sector odontológico vive una noche de reconocimiento al trabajo, el talento y la innovación de organizaciones y profesionales.
Una velada donde se mezclaron la magia, la emoción, el compañerismo y el networking.


Fotografías del Especial Premios: Xavi Gómez.


















































«Más de 300 personas arroparon a Gaceta Dental en una de sus citas más especiales»
Con una impactante actuación musical arrancó la gala de los 27 Premios Gaceta Dental en la Real Fábrica de Tapices de Madrid, una velada que estuvo dirigida y amenizada por el mentalista Vicente Lucca, quien tras unas palabras de bienvenida dio paso a Lourdes Álvarez, CEO de Peldaño Media Group desde el pasado mes de mayo.
En su discurso, Lourdes Álvarez destacó «la importancia de la precisión y el rigor, valores que también definen a Peldaño Media Group, del que forma parte Gaceta Dental. Somos «notarios de la realidad» y trabajamos día a día con la obligación profesional de contar a nuestra audiencia con un enfoque completamente imparcial y objetivo qué ocurre en su sector».
Asimismo, la CEO de Peldaño Media Group destacó la necesidad de la comunicación en los tiempos tan cambiantes que vivimos, una evolución de la que no puede ser ajena Gaceta Dental y Peldaño Media Group promoviendo nuevos formatos comunicativos: «Os voy a dar un dato: de enero a septiembre, los clips de nuestro videopodcast GDentalk han sido reproducidos más de 6 millones de veces en LinkedIn, Instagram y TikTok», destacó.
Tras las palabras de Lourdes Álvarez, subió el atril el Dr. Gustavo Catalano, CEO de Catalano Clínicas Odontológicas, marca patrocinadora global de los 27 Premios GD, quien quiso poner en valor «el enfoque 360 o en sus clínicas, más allá de la Odontología, con equipos multidisciplinares para mejorar la salud de sus pacientes». Además, presentó su proyecto más inminente: Catalano Kids, enfocado en la Odontopediatría preventiva, y su próxima iniciativa de llevar atención dental a personas con movilidad reducida mediante unidades móviles.
APOYO DEL SECTOR
Como cada año, Gaceta Dental recibió el calor de todo el sector: profesiones, instituciones, organizaciones profesionales, universidad y empresa estuvieron representados en la gala, destacando la presencia de Pablo Crespo, secretario general de la Federación Española de Empresas de Tecnología Sanitaria (Fenin); Lluís Giner, presidente de la Conferencia de Decanos de las Facultades de Odontología de España; Marisol Ucha, presidenta del Colegio de Odontólogos y Estomatólogos de la I Región (COEM); Luis Garralda, presidente del Sector Dental de

«La comunicación es necesaria en los tiempos tan cambiantes que vivimos, pero hay que ofrecer nuevos formatos como GDentalk»
Fenin; César Calvo, presidente de la Unión de Colegios Profesionales de Higienistas Dentales de Madrid y presidente, asimismo, del Colegio Profesional de Higienistas Dentales de la Comunidad de Madrid; Pedro Herrera, vicepresidente de ACADEN (Asociación Científica Andaluza para la Divulgación de la Prótesis Dental) y José Aranguren, presidente de la Asociación Española de Endodoncia (AEDE), entre otros destacados profesionales. En total, más de 300 personas arroparon a Gaceta Dental en una de sus citas más importantes.
En la vigesimoséptima edición de los Premios GD el apoyo de la industria fue muy destacado. Además del patrocinio global de Catalano



«Más de 60 firmas se sumaron al reconocimiento de la excelencia en el sector dental»
Clínicas, se contó con el respaldo como patrocinadores de Aragoneses CPD, Denarius, IDEOD, Expodental, GDentalk, IPAO, IPG Dental, Ivoclar, Philips y Tienda GD.
Asimimismo, colaboraron en la convocatoria: Alle Dental, Ancladen, Barcelona Dental Show, BCS, Bego, Bioinnovación Dental, Centro Cigomáticos, Ceodont, Cepume, Ceranium, CEU, Fundació Lluís Alcanyís UV, CNC Dental, Dental Lab, Euronda, Expadent, Galimplant, Gira Dental, Gecko, Heka Dental, Hexa Dental, Henry Schein, Heygear, ICIRO, IPD, Manuel Román Academy, Master Dental, Normon, Orascoptic, Ortoplus, Osteógenos, Pecket, Radhex, Rd Express, Rumar, Salugraft, Sanitas Clínicas Dentales, SDI, SEI, SEPES, Smart Implant, SprintRay, Ticare, Tokuyama, UIC Barcelona, Ultradent, U-Labs, UCM, VITA, WOLF y Ziacom.
Entre los bloques de premios, los trucos de magia de Vicente Lucca encandilaron a los presentes, momentos en los que también se presentó MIDAS, una impresora 3D revolucionaria, patentada por SprintRay, que estará en el mercado en el primer trimestre de 2025. Por su parte, VITA sorteó entre los acreditados dos entradas a su evento VITAROCKS, que se celebrará en la localidad gaditana de Jerez de la Frontera los días 30 y 31 de mayo del próximo año.
Durante la gala hubo espacio también para el reconocimiento a la labor del Consejo de Innovación y Excelencia de Gaceta Dentall y muy especialmente de los jurados. En esta ocasión, participaron en la evaluación de las candidaturas presentadas a los Premios Gaceta Dental más de una treintena de profesionales vinculados, de una forma u otra, al sector odontológico. Entre ellos,


Los Premios GD volvieron a reunir un año más a destacados representantes de la Odontología.
Luis Segura-Mori, Manuel Fernández, Miguel Carasol, Juan López-Quiles, Juan Carlos Vara, José Aranguren, Estefanía Laguna, María José Muñoz
Leal, Estefanía Moreno, Simón Pardiñas, José Amengual, Jesús Peláez Rico, Juan Carlos Megía, José María Fonollosa, Pedro Herrera, César Calvo, Eva López de Castro, Mar González, Miriam Vivas, Irene García, Eva Beloso, María José Muñoz, Elena Villalta, Marisol Ucha, Manuel Enciso, Héctor Tafalla, Miriam Egea, Beatriz Ruiz, Adrián Beloki,
Francisco Soriano, Patricia Merino, Sandra Rodríguez y Gema Bonache. Una vez entregados todos los galardones, el cóctel posterior, momento para el compañerismo y el networking, se convirtió en el broche perfecto para una noche llena de emoción y reconocimientos. Los asistentes se despidieron con la satisfacción de haber sido testigos de una celebración única, que destaca la excelencia y el compromiso de los profesionales del mundo dental.
Desde Sanhigía presentamos una guía de actuación que facilita cuáles son la toma de decisiones que hay que llegar a articular para poder ofrecer un tratamiento efectivo y predecible en la prevención y el tratamiento de la periimplantitis. Además de la propia guía, Abordaje Terapia 360 incluye formación presencial y online, y una seria de productos asociados a con unas condiciones especiales de compra.
Aeropulidor PT-B (Prevención)
Escanea este código QR para obtener la información completa:
Láser de diodo D-Laser Blue (Prevención secundaria - mucositis )





Periimplantitis Managament Kit (Tratamiento de la periimplantitis)


Aloinjerto Biobank (Tratamiento quirúrgico de la




El Premio GD Mejor Artículo Científico fue otorgado al trabajo «Caracterización del proteoma salival en la periodontitis: identificación de nuevos biomarcadores con alta precisión diagnóstica», firmado por la Dra. Triana Blanco y el equipo de investigación de la Universidad de Santiago, dirigido por la Dra. Inmaculada Tomás, y formado también por: Alba Regueira, Alba Sánchez, Manuela Alonso, Susana Bravo, Marta Reivas y Carlos Balsa.



Manuel Gómara, CEO de IPG Dental, empresa patrocinadora del premio, hizo entrega del mismo a las Dras. Triana Blanco e Inmaculada Tomás.
El trabajo premiado verá próximamente la luz en las páginas de Gaceta Dental.




































Accede al caso clínico ganador en el siguiente enlace:

Patrocinado por:

El trabajo «El papel de los implantes subperiósticos en la reconstrucción del maxilar superior», firmado por el Dr. Néstor Montesdeoca García, se alzó con el Premio GD Mejor Caso Clínico, patrocinado por Ivoclar. Bajo el sello de SECOMCyC (Sociedad Española de Cirugía Oral y Maxilofacil y de Cabeza y Cuello), el artículo fue publicado en el número 367 de Gaceta Dental, Especial Implantes, correspondiente a los meses de junio/julio de 2024.
Henar Boronat, managing director de Ivoclar Iberia, entregó el premio a la coautora del artículo, la Dra. Carlota de Las Heras González al encontrarse el Dr. Montesdeoca en un congreso en Roma.



















Más información ahora [1] Solo apto para contador de escala ultrasónico con depósito de refrigerante externo. No apto para dispositivos de pulido por aire.
–Reducción de aerosoles producidos por scalers ultrasónicos de escala ultrasónicos[1] hasta un 99 %
–Mejor visibilidad del área de tratamientodurante la limpieza ultrasónica
–Mayor comodidad para los pacientes debido a que se ro-









Karen Corbani, alumna de la Universidad UIC Barcelona, se alzó con el Premio GD Mejor Talento en Odontología gracias a «Influencia del ángulo de inclinación en la absorción de agua de resinas impresas: un estudio in-vitro», un trabajo que examina la influencia del ángulo de inclinación en la absorción de agua y solubilidad de discos de resinas impresas en 3D.

Patrocinado por:



Manuel De Bethencourt, director de IPAO, centro patrocinador del Premio, fue el encargado de entregar el galardón, además de una beca valorada en 2.000 euros para cursar cualquiera de los másteres que imparten en IPAO (Instituto de Postgrados Avanzados en Odontología).
Próximamente, el trabajo de Karen Corbani será publicado en las páginas de Gaceta Dental.



















Máster de Cirugía oral, Periodoncia e Implantoprótesis
Máster de Ortodoncia avanzada, Ortopedia y RNO
Máster de Odontopediatría, Ortopedia e Introducción a la RNO
Especialista Universitario en Estética Dental, Implantoprótesis y Odontología digital
Másteres Universitarios Especialistas Universitarios Cursos propios

odontologiaipao.com
Especialista Universitario en Endodoncia Curso de Peritación y Valoración del daño en odontología







Gabriela Zapata Solórzano, alumna del centro de formación Folguera Vicent de Valencia, por el trabajo «Caracterización Dental. Desarrollo y Avances en Técnicas de Personalización de Prótesis», se alzó con el Premio GD Mejor Talento en Prótesis Dental. Con este proyecto, la galardonada analiza la evolución de las diferentes tendencias en estética dental a lo largo de la historia.



Pedro Herrera, miembro del jurado y vicepresidente de ACADEN (Asociación Científica Andaluza para la Divulgación de la Prótesis Dental) hizo entrega de este galardón a Gabriela Zapata.
Próximamente, el trabajo de Gabriela Zapata será publicado en las páginas de Gaceta Dental.





















Nondas Vlachopoulos

Jose María Fonollosa


Diogo Firmino


























Inscripción








Exposición Comercial





































Información























Andrés González Iglesias, alumno del CIFP Manuel Antonio de Vigo, se alzó con el Premio GD Mejor Talento en Higiene Dental por su trabajo «Influencia de la educación en la salud oral e higiene oral de la población», un proyecto que recoge el grado de conocimiento general sobre temas odontológicos y el interés de la población por la salud bucodental.
Patrocinado por:



Sofía Solano, directora de Instituto IDEOD, hizo entrega de este galardón, además de una beca valorada en 1.000 euros para realizar cualquiera de sus cursos dirigidos a higienistas dentales.
Próximamente, el trabajo de Andrés González será publicado en las páginas de Gaceta Dental.




















Su fuerte apuesta por la innovación hizo que Dental Studio María Loira, consulta ubicada en Pontevedra, se alzara con el Premio GD Mejor Clínica/Laboratorio Digital, categoría patrocinada por Aragoneses CPD.
Patrocinado por:



El objetivo de Dental Studio María Loira es transformar la salud bucodental de los pacientes mediante un enfoque integral y personalizado. Su equipo combina tecnología de vanguardia con una atención humana y cercana, garantizando una experiencia confortable y efectiva.
La directora médica de la clínica, la Dra. María Loira, recogió el galardón de manos de Rocío Yu, CEO de Aragoneses CPD.

















Llevamos 75 años en el sector invirtiendo en talento e innovación.
Nuestra misión es dar el servicio en el que puedas confiar con total seguridad.
Trabajamos todos los tipos de prótesis que cumplen con los estándares de calidad MÁS EXIGENTES ya que somos actualmente el único laboratorio de España con certificaciones ISO de calidad, medio ambiente y producto médico.

Híbridas segmentadas de TI





Prótesis
Zirconia ® Prótesis removibles Cirugía guiada
más en nuestra web ahora!



Patrocinado por:

El Premio GD Mejor Avance Tecnológico, patrocinado por Expodental, recayó en OHDBI «Oral Health Data Bank Insights», un visualizador de datos epidemiológicos que contiene los principales indicadores de salud oral obtenidos en España y que está diseñado para convertirse en una herramienta de referencia para usos docentes, investigadores y profesionales, así como en la toma de decisiones en materia de política sanitaria.


Ana Rodríguez, directora de Expodental, fue la encargada de entregar el galardón a José María Montiel y Aarón William Montiel, creadores de OHDBI.

















Patrocinador Global:
Patrocinadores:









Colaboradores:



















La Clínica Dental Espinardo se alzó con el Premio GD Mejor Gestión Clínica, que con el patrocinio de Denarius, reconoce la apuesta de las clínicas dentales por implantar acciones relativas a la gestión, la formación interna y el marketing, entre otros campos. Esta clínica dental, situada en Murcia, propone una metodología basada en el método Faster, que ayuda a navegar por las complejidades de la gestión a las clínicas dentales, desde la comunicación con socios, empleados y colaboradores hasta la comunicación fructífera con el área de ventas y proveedores.
Patrocinado por:



Paloma Beamonte, consejera independiente de Denarius, hizo entrega de este galardón a Pedro Roca Sánchez, gerente de la Clínica Dental Espinardo.




















La Clínica Talaverano, situada en Elche, fue merecedora del Premio GD Mejor Trabajo en Comunicación y Marketing, una categoría en la que se reconoce la excelencia en la labor comunicativa de los profesionales dentales hacia sus pacientes a través de sus webs o perfiles en Redes Sociales y que está patrocinada por Philips. Precisamente, en Clínica Talaverano, los canales digitales se gestionan de manera estratégica para maximizar la visibilidad del trabajo desarrollado y servir como una herramienta útil para los pacientes.
Patrocinado por:



Ruth Camacho López, profesional Marketing Dental de Philips – Personal Health Iberia, fue la persona encargada de entregar el trofeo a Emilio Sánchez, Helena Quiles y Ana Botella; director médico, directora y content manager, respectivamente, de Clínica Talaverano.

















En Philips, la mejora de los resultados de los pacientes es la prioridad.
Descubre las soluciones de higiene bucal
Philips Sonicare y blanqueamiento Philips Zoom.






• Sensor de presión con alertas visibles

• Nuevo modo para dientes y encías sensibles



• Con el cabezal Sensitive para evitar los daños








• Protocolo de prevención de la sensibilidad
• Resultados obtenidos tras una sesión
• Materiales y gel de calidad profesional (In-office y Take Home)



Para más información o preguntas, póngase en contacto con su representante de ventas de Philips Sonicare y Philips Zoom!
Escanee el código QR y vaya directamente a la Tienda Philips para profesionales Dentales y cree su nueva cuenta





Fundación Odontología Solidaria se alzó con el Premio GD Proyecto Solidario. Se veía así reconocido su proyecto de atención bucodental a personas en situación de vulnerabilidad social que desarrolla, desde el año 1994, a través de diversos programas, en sus ocho delegaciones en diferentes puntos de España.
Apoyado por:



El Dr. Gustavo Catalano, CEO de Catalano Clínicas Odontológicas, patrocinador glogal de los Premios GD, entregó el trofeo al Dr. José Manuel Díaz López-Dóriga, tesorero de la Fundación Odontología Solidaria.
Catalano Clínicas quiso apoyar esta categoría donando material fungible para el desarrollo de las actividades solidarias de la organización ganadora.



















El periodista y escritor Miguel Ángel Moreno recibió su trofeo de manos de Adrián Beloki, director de Estrategia de Contenidos de Peldaño Media Group.

Patrocinado por:

«Dentista rural», un relato entrañable, nostálgico y familiar con una muela del juicio como una de sus protagonistas, firmado por el periodista y escritor Miguel Ángel Moreno, fue el texto elegido como merecedor del Premio GD Mejor Relato Corto, galardón que cuenta con el patrocinio de GDentalk y que tiene como objetivo reconocer la creatividad literaria con la Odontología como protagonista.





Adrián Beloki, director de Estrategia de Contenidos de Peldaño, hizo entrega de este premio a Miguel Ángel Moreno.
Próximamente, el trabajo ganador verá la luz en los canales de Gaceta Dental.
















El videopodcast GDentalk, lanzado en enero por Gaceta Dental y el doctor Simón Pardiñas, cumple su primera temporada con un fantástico encaje en audiencia. +11.000 profesionales han escuchado ya algún episodio del programa, por el que han pasado arquitectos, nutricionistas, psicólogas o expertos en marketing para aportar su visión al sector dental.

+6.400.000

reproducciones de reels




escuchas completas en Spotify +3.000







episodios disponibles en Youtube Ivoox Spotify






Accede al libro en el siguiente enlace:

Patrocinado por:

En su compromiso de impulsar el conocimiento y progreso en el ámbito odontológico, Gaceta Dental convoca el Premio GD Mejor Libro del Año, cuyas candidaturas fueron seleccionadas entre las novedades editoriales lanzadas en la Tienda Gaceta Dental en los últimos cuatro años (2020-2024). Dicho galardón recayó en El libro «Manual de Ortodoncia clínica», firmado por el Dr. Luis Fernando Morales, una obra que aúna los conocimientos clásicos junto con los más recientes avances en Ortodoncia que todo dentista debe conocer.
Francisco Soriano, director de la Tienda Gaceta Dental, se encargó de entregar dicho reconocimiento al Dr. Luis Fernando Morales.

















Perfecciona tus habilidades clínicas en Ortodoncia
Un manual repleto de fotografías y casos clínicos muy bien detallados que aúna los conocimientos clásicos y los más recientes avances en Ortodoncia.








Premio impulsado por:

El Premio Especial Gaceta Dental fue para el Colegio de Odontólogos y Estomatólogos de la 1 a Región (COEM), por su fuerte compromiso con la Odontología, sus profesionales y la ciudadanía a través de numerosas iniciativas formativas impulsadas desde su comisión científica, por su actividad solidaria en La Cañada Real de Madrid, por su reconocimiento a los medios de comunicación sectoriales, entre ellos, cómo no Gaceta Dental, testigo todos estos años de su arduo trabajo.


Ignacio Rojas, presidente de Peldaño Media Group, hizo entrega del galardón a los Dres. Marisol Ucha y Antonio Montero, presidenta y expresidente, respectivamente, del COEM.





























Accede gratis a la guía que batió récords de audiencia en 2023
Una herramienta de consulta clave para odontólogos, higienistas y protésicos.

























































































































S IMPOSIO ALUGRAFT

Evento científico-benéfico
Evento científico-benéfico
¡
7 sesiones
7 sesiones
15 ponentes +25 casos clínicos
15 ponentes +25 casos clínicos








¿Te gustaría ver cirugías como ésta? No te pierdas el próximo CURSO SALUGRAFT con los expertos Dr. Erik Regidor y el Dr. Alberto Ortiz-Vigón ni el I SIMPOSIO SALUGRAFT
¿Te gustaría ver cirugías como ésta? No te pierdas el próximo CURSO SALUGRAFT con los expertos Dr. Erik Regidor y el Dr. Alberto Ortiz-Vigón ni el I SIMPOSIO SALUGRAFT




MANEJO DE TEJIDOS DUROS Y BLANDOS ALREDEDOR DE DIENTES E IMPLANTES
25 octubre 2024
25 octubre 2024
Curso teórico-práctico
Curso teórico-práctico




















































































Después



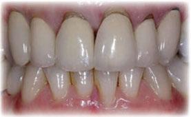
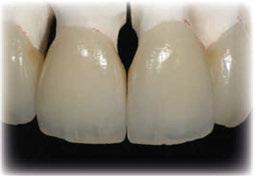
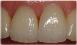
El composite universal Transcend™, gracias a su tecnología patentada Resin Particle Match™, garantiza una combinación de tonos y colores sin precedentes, con el uso de una sola masa y eliminando la necesidad de usar un opaquer.



Además del color Universal Body, el composite Transcend™ también incluye cuatro tonos de dentina y dos tonos de esmalte para los casos en los que una técnica de estratificación es apropiada.










La pigmentación de amalgama representa una de las situaciones más difíciles de restauración para los dentistas. En este caso, el diente se restauró usando el composite Universal Body de Transcend™. No se utilizó ningún opaquer o bloqueador, ya que la masa Universal Body tiene opacidad suficiente para cubrir las pigmentaciones del fondo de la cavidad, mimetizándose con el color natural del diente.
Dra. Jaleena Fischer Jessop















Escanee este código QR para ver cómo el composite Transcend™ y su técnología Resin Particle Match™ es la mejor opción para los odontólogos que buscan mejorar su productividad.













































































Los nuevos materiales de impresión 3D más duraderos, biocompatibles y de alta precisión para restauraciones dentales estéticas y prótesis híbridas fijas.
Con un acabado superficial más suave, un módulo de flexión y una resistencia mejorados, y velocidades de impresión más rápidas.



Si quieres saber más sobre los nuevos materiales biocompatibles de SprintRay: OnX Tough 2 y Ceramic Crown, escanea el QR y contáctanos.











































































































Descubrir OMNICHROMA




Tokuyama presenta la gama OMNICHROMA
OMNICHROMA es un producto innovador y revolucionario que expresa la máxima capacidad de correspondencia cromática con la más amplia gama de tonos y colores, cubriendo así las tonalidades clásicas de VITA con un solo matiz de composite. Todo esto gracias a la Smart Chromatic Technology, patentada por TOKUYAMA, que otorga al color su dimensión «física». Sin pigmentos añadidos


REALMENTE INNOVADOR
Descarga CLINIC OMNICHROMA® EXPERIENCE y descubre cómo lo hacen los profesionales


Desarrollado por el Dr. Fernando Autrán

Tokuyama Dental España
Tel: 900 800 840 Tel: 868 187 961 info@tokuyama.es www.tokuyama.es

Exclusivo distribuidor en línea odontología conservadora
Stay tuned! Muchas nuevas característica que vienen desde el mundo Tokuyama www.tokuyama.it






































































































































Euronda a Alle® ® Lín ea a co mpleta a de e pro ductos s desech ables s pen sada a especialmente para a un a zo n a quirúrgica a est éril l y sin n co ntaminación








Escanee el QR y descargue el catálogo Alle









CIENCIA
Caso clínico

DR. CÉSAR MARTÍNEZ
Doctor en Odontología. Profesor del Máster de Ortodoncia de la Universidad Complutense de Madrid, y de la Universidad Ceu San Pablo.
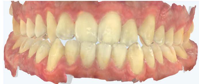
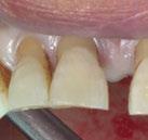
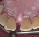
Se presenta el caso de un paciente adulto de 18 años de edad con clase III esquelética, con un cuerpo mandibular grande e hipoplasia maxilar. Desde el punto de vista dentario, el paciente presenta una clase III molar y canina bilateral (más severa en el lado izquierdo), mordida abierta anterior del 1.2 de -1 mm, y mordida cruzada del 1.3. Además, presenta un resalte invertido, y un incisivo inferior proinclinado, con una curva de Spee aumentada.
La primera opción de tratamiento que se planteó fue un tratamiento de ortodoncia combinado con cirugía ortognática, pero el paciente la rechazó. Debido a esto, se le planteó una segunda opción, realizando una compensación dentoalveolar, y con exodoncia de los terceros molares inferiores, ortodoncia con alineadores, y el uso de elásticos intermaxilares de clase III.
La duración total del tratamiento fue de 20 meses. Al final del mismo, la función y la estética del paciente mejoró notablemente, gracias a la distalización de la arcada
inferior, y al torque cercano a cero grados conseguido en los sectores posteriores. Por tanto, el caso se resolvió mediante una compensación dentoalveolar, donde se obtuvo un ángulo interincisivo adecuado y una angulación del incisivo superior e inferior correctas respecto a sus bases óseas.
La maloclusión de clase III esquelética está asociada a una deficiencia del maxilar, exceso mandibular, o combinación de ambas, y es un problema habitual en el campo de la ortodoncia (1). Su prevalencia puede variar desde un 0,5 a un 20,5 % según raza y país (2). Estas clases III están acompañadas en algunas ocasiones de asimetrías mandibulares dificultando el tratamiento de las mismas, siendo más frecuentes en hombres que en mujeres y, generalmente, tienden a estar asociadas a un patrón vertical (3). La corrección de estas maloclusiones dependerá de la edad del paciente y de la severidad
«La utilización de anclaje esquelético combinada con alineadores supone una gran alternativa para reducir el tiempo de tratamiento y aumentar la predictibilidad de los movimientos planificados en simulación virtual»
de la misma (4). Así, en periodos infantiles o adolescentes se puede enfocar el tratamiento desde un punto de vista ortopédico, mientras que en pacientes sin crecimiento el tratamiento de elección será la cirugía ortognática, compensación dentoalveolar ortodóncica, o una combinación de ambas (5). Todo ello dependerá de la gravedad de la discrepancia esquelética, de la repercusión funcional, articular, estética dental y facial, y de la colaboración del paciente, lo cual ayudará a conseguir un resultado aceptable con una buena estabilidad dentaria y unos resultados óptimos a nivel facial (6).
Dentro de los valores cefalométricos que son usados por los ortodoncistas, encontramos el Wits como medida determinante para valorar si se realiza compensación dentoalveolar o no, ya que si esta medida es superior a -6 se incrementa la posibilidad de realizar camuflaje dentoalveolar.
Existen otras medidas importantes como la angulación del ANB, inclinación del incisivo inferior y la repercusión de la maloclusión en el perfil blando. Los rasgos de compensación no deben de ir más allá de 120 grados en el eje del incisivo superior respecto a su base ósea, y 80 grados del eje del incisivo inferior respecto al plano mandibular (7).

Muchas de las maloclusiones que previamente solo podían ser tratadas mediante cirugía ortognática, como las mordidas abiertas o clases III, realizando un diagnóstico adecuado, pueden ser tratadas con una compensación dentoalveolar sin cirugía. El uso de dispositivos de anclaje temporal (TADS) combinado con ortodoncia fija vestibular, u ortodoncia con
alineadores, ha aumentado la eficiencia y la predictibilidad de nuestros tratamientos (8), y permite que la compensación sea una opción válida cuando la maloclusión no es excesivamente grave.
El objetivo del presente artículo es la presentación de un caso clínico sobre un paciente con clase III esquelética al que se realizó la distalización de la arcada inferior mediante anclaje esquelético y alineadores como alternativa a un tratamiento de cirugía ortognática.
Se presenta el caso de un varón de 18 años y 4 meses de edad, cuyo motivo de consulta fue: «Muerdo al revés, pero no me quiero operar, y en otra clínica me dicen que la única solución es la cirugía».
Como antecedentes personales del paciente cabe destacar: dos familiares (madre y abuelo) con clase III esquelética sin haber recibido tratamiento de ortodoncia.


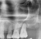
Durante la exploración clínica y en los registros extraorales fotográficos de frente se observa un patrón vertical asimétrico, con deficiencia del maxilar, falta de soporte malar, ligera desviación del mentón hacia la derecha y tercio facial inferior aumentado (Figura 1).
Asimismo, en la exploración de perfil, se aprecia un perfil recto con el tercio facial inferior aumentado. El ángulo nasolabial y mentolabial están aumentados (Figura 2).
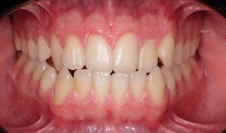
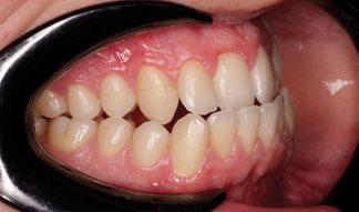
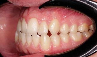
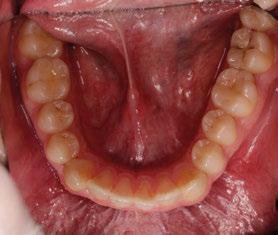
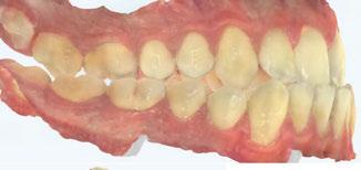
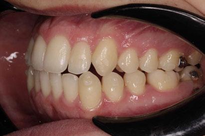
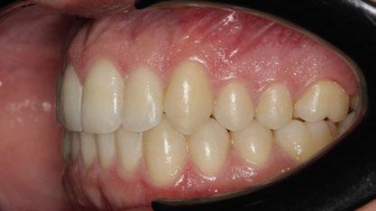
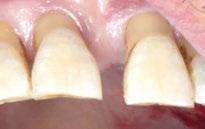
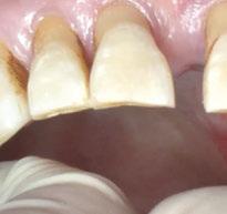
En el registro fotográfico de sonrisa, existe una línea de sonrisa alta, con las líneas medias centradas, y mordida abierta del 1.2, y mordida cruzada del 1.3. En las fotografías iniciales intraorales (Figura 3), se observa a nivel transversal mordida cruzada posterior del 1.3. La línea media superior se encuentra centrada respecto a la línea media facial, y la línea media inferior desviada 1 milímetro hacia la derecha de causa funcional. A nivel vertical, presenta mordida abierta anterior del





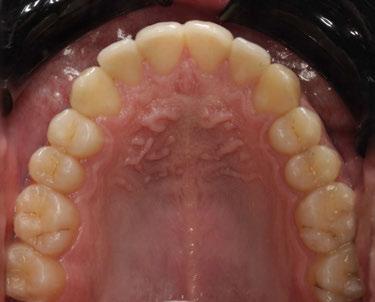
1.2 de 1 milímetro, y los dientes 1.1, 2.1, 2.2 en una relación de borde a borde respecto a los incisivos inferiores. La curva de Spee inferior es moderada, y la superior es invertida. Por último, a nivel sagital se observa una relación de clase III molar y canina bilateral, mayor en el lado izquierdo, con una vestibuloversión de los incisivos inferiores, y mordida cruzada anterior. Todo ello conlleva a una inestabilidad oclusal que se puede observar en los modelos de estudio iniciales (Figura 4)
A nivel articular, el paciente no presentaba problemas ni limitación de la apertura. En el campo funcional, la deglución del paciente era normal, y no existía discrepancia entre relación céntrica y máxima intercuspidación.
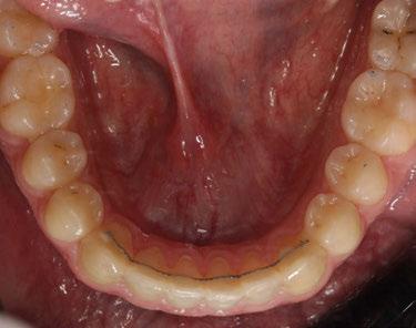
En la exploración intraoral, se observó la presencia de los cordales superiores e inferiores.
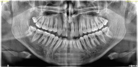
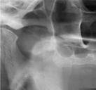
Se le solicitó al paciente un estudio radiográfico en el que la radiografía


«Al paciente se le realizó la distalización de la arcada inferior mediante anclaje esquelético y alineadores como alternativa a un tratamiento de cirugía ortognática»
panorámica (Figura 5) mostró una mandíbula asimétrica con cóndilos asimétricos, y escotadura antegonial marcada, característica de patrones hiperdivergentes. De la misma forma, se observó la dentición permanente







con presencia de los cordales superiores e inferiores erupcionados. Las raíces son adecuadas, aunque se aprecian raíces cortas a nivel de los incisivos inferiores, no por reabsorción, sino como un signo característico de incisivos inferiores en vestibuloversión. No se aprecian las caries descritas anteriormente, que fueron confirmadas realizando radiografías periapicales.
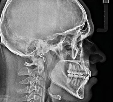
La telerradiografía lateral de cráneo inicial (Figura 6) mostró a nivel esquelético una clase III con hipoplasia maxilar, y un patrón mesodolicofacial. A nivel dentario, una clase III dentaria bilateral, con mordida abierta anterior de diente 1.2., los incisivos superiores se encontraban en norma, y los incisivos inferiores en vestibuloversión (Figura 7). Ante estos hallazgos, el paciente fue informado que el tratamiento


CENTRO DE DISEÑO Y PRODUCCIÓN DE ESTRUCTURAS MEDIANTE CAD/CAM


Férulas de descarga



Fresado Diseño de la prótesis

Sinterizado Impresión 3D

Férulas de avance mandibular
Unitario anatómico atornillado
Cr-Co | Ti
Unitario sobre interfase
Cr-Co | Ti | Zr | PMMA | Composite

Puente anatómico atornillado
Cr-Co | Ti

Pilar personalizado
Cr-Co | Ti




¿POR QUÉ USAR CAD/CAM Y POR QUÉ HTL?
Escanea este QR







Modelos
Provisionales
Corona o puente cementado
Cr-Co | Ti | Zr | PMMA | Composite e.max CAD
Rehabilitación anatómica atornillada
Cr-Co | Ti


Puente sobre interfase
Cr-Co | Ti | Zr | PMMA | Composite
Barra híbrida y simple
Cr-Co | Ti
*En todos nuestros diseños de prótesis en Cr-Co y Ti.

Laboratorio de prótesis dental HTL CAD / CAM - Lab, S.L.
Tel.: (+34) 945 160 658 info@htlcadcam.com






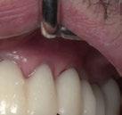
ideal en este tipo de casos sería un tratamiento combinado de ortodoncia y cirugía ortognática, pero debido a la negativa ante esta opción, se eligió como segunda la compensación dentoalveolar, realizando un tratamiento con dispositivos de anclaje temporal (TADS) de 12 milímetros de longitud, y 2 milímetros de diámetro, situados en zonas próximas a la línea oblicua externa.
La colocación de los microtornillos debe de realizarse entre el primer y segundo molar inferior, localizados a nivel de la unión mucogingival, y perpendiculares al plano oclusal. Se solicitó al paciente el consentimiento informado por escrito y, tras su firma, se inició el tratamiento previamente con la extracción de los terceros molares inferiores, lo cual permitió generar espacio para
«El tiempo total del tratamiento de ortodoncia transparente fue de 20 meses»
corregir la clase III dentaria bilateral. Además, en los dientes 1.6, y 2.7 se observaron caries por palatino, que fueron solucionadas antes de iniciar el tratamiento de ortodoncia.
El tratamiento de ortodoncia transparente que se utilizó en este caso clínico fue el sistema SPARK™ (Ormco). Se realizó una etapa inicial de alineadores, y tres refinamientos.
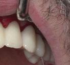
La colocación de los microtornillos se realizó cuando se alcanzó el alineador número doce, y fueron utilizados como anclaje en los 7s para, posteriormente, distalar el resto de la arcada inferior (Figura 8). Desde

el alineador número 5, se utilizaron elásticos intermaxilares de clase III, 20 horas al día con una fuerza media de. 6.5 onzas, y un diámetro de 3/16 (4.8 mm) de manera bilateral.
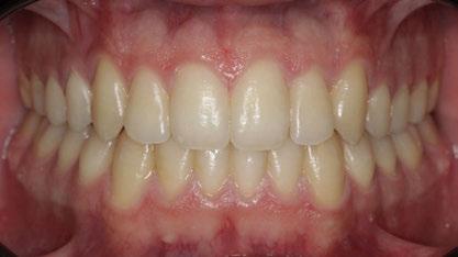
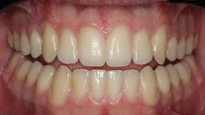
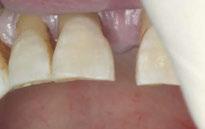
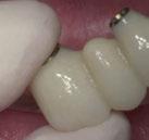
El tiempo total de tratamiento fue de 20 meses. En los registros extraorales finales (Figura 9) de frente se aprecia como la estética de la sonrisa mejoró notablemente gracias a la distalización de la arcada inferior, y a la mejora de los torques posteriores superiores e inferiores, cercanos a cero.
Las fotografías extraorales de perfil (Figura 10) muestran cómo con la distalización de la arcada inferior y una mejora en el torque de los incisivos superiores e inferiores, se consigue una adecuada relación entre el labio superior e inferior y una mejora del ángulo mentolabial, aunque el soporte malar siguió disminuido tal y como se había previsto.
La línea media superior e inferior quedan centradas entre sí y respecto a la línea media facial.



Ha aumentado la exposición de los incisivos superiores en reposo y sonrisa gracias a su extrusión, y se ha producido una reducción de los ángulos nasolabial y mentolabial.
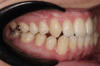
Las fotografías intraorales finales (Figura 11) muestran una relación de clase I molar y canina, con resalte y sobremordida adecuados. La angulación del incisivo superior e inferior respecto a sus bases óseas fue correcta, por lo que se obtuvo un buen ángulo interincisivo.



El resultado de corregir las curvas de Spee fue una mejora en la relación de mordida abierta borde a borde entre los incisivos superiores e inferiores. Una vez acabado el tratamiento, unos contactos oclusales adecuados con un buen engranaje cúspide-fosa, y ausencia de rotaciones dentarias.
La exploración funcional de la ATM al final del tratamiento siguió siendo normal, sin ningún signo clínico en apertura o cierre, ni limitación de



CURSO ONBOARDING
Si tienes experiencia en ortodoncia invisible, ¡este es tu curso! Obtén tu credencial oficial de Spark, la técnica de ortodoncia con alineadores más revolucionaria.

1 Módulo online + 1 Módulo presencial + 1 Study Club�
En tres ciudades: Madrid (27 septiembre), Málaga (26 octubre) y Barcelona (14 diciembre).





¡Cámbiate al sistema Spark!
MÁSTER DE ORTODONCIA INVISIBLE NIVEL EXPERTO
¿Quieres dominar los sistemas Spark e Invisalign?
En una formación intensiva de 4 días te convertirás en experto en ortodoncia invisible.
Si tienes experiencia en alineadores, es el momento de dar un paso más. ¡Te esperamos!
Próxima oportunidad, en Málaga: 27 y 28 de septiembre y 18 y 19 de octubre.

¿Quieres ser un experto en microtornillos?
Especialízate en este campo de la mano de los doctores Manuel Román y Juan Carlos Pérez Varela.
No pierdas la oportunidad de profundizar en esta técnica para mejorar los resultados de la ortodoncia de tus pacientes.
Inscríbete:
25 y 26 de octubre en Madrid



¡Aprende a sacar todo el partido al sistema Spark! Únete al primer máster en España con reconocimiento oficial por Ormco™, una formación presente ya en 26 países.
• Un módulo online
• Tres módulos presenciales
• 1 Study Club
¡Apúntate ya!

Con acreditación oficial del sistema Spark incluida. Desde noviembre, en Madrid
¡Consigue tu plaza!
MASTERCLASS CIRUGÍA ORTOGNÁTICA & ORTODONCIA INVISIBLE
Conviértete en especialista en cirugía ortognática y ortodoncia invisible. ¿Qué casos operar y cuáles compensar con ortodoncia? ¿Cómo elegir la mejor técnica? Nuestros expertos te enseñan protocolos, soluciones, consejos y trucos.
Próxima edición: 22 y 23 de noviembre en Madrid
Mejora la atención a tus pacientes aprendiendo las técnicas más complejas

Si quieres especializarte en ortodoncia y ortopedia infantil, ¡apúntate a este máster! Aprende a tratar pacientes desde los 4 años y podrás tratar con ortodoncia el 100% de las maloclusiones en la infancia.
8 módulos presenciales + 8 módulos online
¡Reserva ya tu plaza!
Con acreditación oficial del sistema Spark incluida.
Próxima edición: Málaga, en 2025 (semipresencial)



la apertura. Movimientos dinámicos de protrusiva o lateralidades fueron correctos, con una buena posición de la lengua. No existió decalaje entre relación céntrica y máxima intercuspidación.
Se sugirió al paciente un blanqueamiento dental al final del tratamiento, sin embargo, el paciente quedó satisfecho con los resultados estéticos, y descartó esta alternativa.
Radiográficamente al comparar la radiografía panorámica final (Figura 12), se puede observar que el paciente mantiene la asimetría mandibular. Las raíces se encuentran en una posición correcta, con adecuado paralelismo radicular, y no se aprecia ninguna reabsorción radicular después del tratamiento de ortodoncia. Periodontalmente, se observa un nivel óseo similar al del inicio del tratamiento.
Se puede visualizar el retenedor fijo inferior situado de canino a canino para evitar posibles recidivas (Figura 7)
En la telerradiografía lateral final (Figura 13) se observa la mejora en la angulación del incisivo superior e
inferior, pero se han mantenido los valores característicos de un patrón mesodolicofacial.
La relación molar y canina es de clase I, y los valores de clase III esquelética han disminuido. Se observan cambios considerables en el perfil pasando de un perfil cóncavo, a un perfil recto debido a le mejora en la relación incisal lo que hace que mejore notablemente (Figura 14).
En las superposiciones por áreas se pueden ver los cambios que se producen a nivel del perfil blando, donde el labio inferior se retruye y el labio superior se mantiene. Unos ángulos ANB y Wits más favorables, lo que indica una mejora en la relación anteroposterior (Figura 15).
A nivel dentario en la arcada superior, se producen menos cambios que en la arcada inferior, donde se ha realizado distalización con los dispositivos de anclaje temporal (TADS). El incisivo superior que inicialmente estaba proinclinado, se retroinclina y extruye ligeramente, mientras que los molares se mesializan ligeramente por efecto de los elásticos intermaxilares. En




«Después del tratamiento de compensación, se disminuyó la proinclinación excesiva en los incisivos
inferiores y se mantuvo de manera adecuada el torque de los incisivos superiores»
que la distalización molar mandibular con alineadores es un movimiento predecible logrando hasta 3 milímetros de distalamiento para lograr una relación molar y canina de clase I (9).
Estas características, junto con la ayuda de anclaje esquelético, logran reducir los tiempos de tratamiento y aumentan la predictibilidad y eficiencia de la distalización y, por tanto, del tratamiento (10). Otra opción alternativa hubiera sido realizar extracciones de premolares, opción que fue descartada debido al empeoramiento estético que podría sufrir en el perfil y por considerar menos predecible y eficiente a largo plazo para el paciente (11).
la arcada inferior, los molares se distalizan e intruyen, mientras que los incisivos se retroinclinan y, como consecuencia, se produce una extrusión relativa.
Por último, la retención que se decidió para este paciente fue de un retenedor fijo inferior de canino a canino, y dos retenedores termoplásticos superior e inferior tipo Essix de 1.5 mm de grosor en ambas arcadas, y con un tiempo de uso de 12 horas al día durante los tres primeros meses; 10 horas al día los seis meses posteriores y, pasados 9 meses posteriores al tratamiento, uso nocturno.
La compensación dentoalveolar con ayuda de anclaje esquelético en el caso que se presenta fue el tratamiento de elección. La proinclinación del incisivo inferior, y la buena dimensión transversal fueron factores determinantes en el diagnóstico para la elección de este tratamiento. Otros autores sugieren
Después del tratamiento de compensación, se disminuyó la proinclinación excesiva en los incisivos inferiores y se mantuvo de manera adecuada el torque de los incisivos superiores, coincidiendo con la opinión de Reis y cols. (12), que destaca la relación de los incisivos en el atractivo de la sonrisa en pacientes con clase III esquelética. De esta manera, la sonrisa y el arco de sonrisa que se ha conseguido en este paciente puede considerarse armónica.
El efecto en esta maloclusión de clase III esquelética de los elásticos intermaxilares fue menor, por lo que hubo que planificar un mayor número de milímetros de distalización (13). Sin embargo, el uso de elásticos junto con el anclaje esquelético resulta imprescindible para lograr los movimientos deseados, y ayudar no solo a producir un movimiento de inclinación distal del molar, sino un movimiento en masa (14).
Según las mediciones cefalométricas, se produjo una mejora en la relación anteroposterior esquelética al aumentar el valor de
Wits a +1.63 mm. No se observaron cambios a nivel patrón facial, pero sí mejora de manera sustancial la inclinación del incisivo inferior respecto a la base mandibular.
CONCLUSIONES
La utilización de anclaje esquelético combinada con alineadores supone una gran alternativa para reducir el tiempo de tratamiento y aumentar la predictibilidad de los movimientos planificados en la simulación virtual.
El paciente al final del tratamiento presentó una oclusión adecuada, estable y funcionalmente óptima.
La estética de la sonrisa cambió favorablemente, y el tiempo de tratamiento fue de 20 meses. Aún conociendo que la opción ideal era el tratamiento de cirugía ortognática, los resultados conseguidos fueron óptimos tanto para el paciente como para el ortodoncista. ●
1. CASTROFLORIO T, SEDRAN A, PARRINI S, GARINO F, REVERDITO M, CAPUOZZO R, MUTINELLI S, GRYBAUSKAS S, VAITIEKŪ NAS M, DEREGIBUS A. Predictability of orthodontic tooth movement with aligners: effect of treatment design. Prog Orthod. 2023 Jan 16;24(1):2.
2. DE RIDDER L, ALEKSIEVA A, WILLEMS G, DECLERCK D, CADENAS DE LLANO-PÉRULA M. Prevalence of Orthodontic Malocclusions in Healthy Children and Adolescents: A Systematic Review. Int J Environ Res Public Health. 2022 Jun 17;19(12):7446.
3. WOON SC, THIRUVENKATACHARI B. Early orthodontic treatment for Class III malocclusion: A systematic review and meta-analysis. Am J Orthod Dentofacial Orthop. 2017 Jan;151(1):28-52.
4. RUTILI V, QUIROGA SOUKI B, NIERI M, FARNESE MORAIS CARLOS AL, PAVONI C, COZZA P, MCNAMARA JA JR, GIUNTINI V, FRANCHI L. Long-Term Assessment of Treatment Timing for Rapid Maxillary Expansion and Facemask Therapy Followed by Fixed Appliances: A Multicenter RetroProspective Study. J Clin Med. 2023 Nov 5;12(21):6930.
5. XU S, LIU Y, HOU Y, LI Y, GE X, WANG L, ZHAO L, MA W. Maxillofacial growth changes after maxillary protraction therapy in children with class III malocclusion: a dual control group retrospective study. BMC Oral Health. 2024 Jan 3;24(1):7.
6. LI Z, HUNG KF, AI QYH, GU M, SU YX, SHAN Z. Radiographic Imaging for the Diagnosis and Treatment of Patients with Skeletal Class III Malocclusion. Diagnostics (Basel). 2024 Mar 4;14(5):544.
7. LUCCHI P, ROSA M, BRUNO G, DE STEFANI A, ZALUNARDO F, GRACCO A. Difference in Using Protrusion Face Mask before or after Rapid Palatal Expansion in Skeletal Class III Children: A Preliminary Study. Children (Basel). 2022 Oct 8;9(10):1535.
8. SARUL M, LIS J, PARK HS, RUMIN K. Evidence-based selection of orthodontic miniscrews, increasing their success rate in the mandibular buccal shelf. A randomized, prospective clinical trial. BMC Oral Health. 2022 Sep 20;22(1):414-416.
9. PADMANABHAN A, KHAN Y, LAMBATE V, K U, NAVEED N, SINGH M, NAGI PK. Efficacy of Clear Aligners in Treating Class III Malocclusion with Mandibular Molar Distalization: A Systematic Review. Cureus. 2023; 1;15(11).
10. ARVEDA N, CREMONINI F, PALONE M, DERTON N, LOMBARDO L. Skeletal anchorage for strategic treatment of hyperdivergent Class III malocclusion in adult patients. J Clin Orthod. 2023 Sep;57(9):522-531.
11. ELIAS KG, SIVAMURTHY G, BEARN DR. Extraction vs nonextraction orthodontic treatment: a systematic review and meta-analysis. Angle Orthod. 2024 Jan 1;94(1):83-106.
12. REIS GM, DE FREITAS DS, OLIVEIRA RC, DE OLIVEIRA RCG, PINZAN-VERCELINO CRM, FREITAS KMS, VALARELLI FP. Smile attractiveness in class III patients after orthodontic camouflage or orthognathic surgery. Clin Oral Investig. 2021 Dec;25(12):6791-6797.
13. MARTINA H, STEFANO ADRIANA A, ERNESTO B, ALESSANDRA I, ROBERTO AV, GABRIELLA G. Lower molar distalization using clear aligners: Is it effective? A systematic review. J Orthod Sci. 2024 Feb 16;13:11.
14. INCHINGOLO AM, INCHINGOLO AD, CARPENTIERE V, DEL VECCHIO G, FERRANTE L, DI NOIA A, PALERMO A, DI VENERE D, DIPALMA G, INCHINGOLO F. Predictability of Dental Distalization with Clear Aligners: A Systematic Review. Bioengineering (Basel). 2023 Dec 4;10(12):1390.

Periodoncista.
Profesora asociada de Periodoncia en la Universidad de Valencia (UV) y del Máster de Periodoncia e Implantes de la UV. Coordinadora del grupo de trabajo SEPA-CNPT para la “Cesación tabáquica”. Directora científica de la revista “Cuida tus encías” de la Fundación SEPA.
Dr. Miguel Carasol Periodoncista. Médico Especialista en Estomatología. Doctor en Odontología. Coordinador de la Alianza por la Salud Periodontal y General de la Fundación SEPA.
Protocolo desarrollado por:


Dejar de fumar no es fácil, pero tampoco imposible. Las consultas dentales pueden y deberían estar preparadas para conseguir este objetivo, debido al elevado volumen de pacientes que atienden sus equipos profesionales, la periodicidad de visitas por diferentes motivos y la preparación en atender a pacientes con problemas crónicos a nivel bucodental, pero también por la mejora evidente en el resultado de muchos de nuestros tratamientos. Mediante un protocolo sencillo, explicado en este artículo, es posible acometer en muchos casos con éxito el abandono del consumo de tabaco, tan lesivo para los seres humanos. También es un objetivo fundamental instruir y motivar a los pacientes más jóvenes para que no empiecen a fumar tabaco ni consuman ningún otro producto con nicotina. Globalmente es un reto, pero la recompensa de lograrlo es enorme.
ABSTRACT
Quitting smoking is not easy, but not impossible. Dental offices can
and should be prepared to achieve this goal, due to the high volume of patients their professional teams see, the frequency of visits for different reasons and the training in caring for patients with chronic oral problems, but also due to the evident improvement in the results of many of our treatments. With a simple protocol, explained in this article, it is possible to successfully quit smoking in many cases, which is so harmful to humans. It is also a fundamental objective to instruct and motivate younger patients not to start smoking tobacco or any other nicotine product. Overall, it is a challenge but the reward for achieving it is enormous.
PASOS A SEGUIR PARA REALIZAR LA CESACIÓN TABÁQUICA EN LA CLÍNICA DENTAL
Todas las guías coinciden en considerar que el tratamiento del tabaquismo ha de ser diferente para cada fumador y que depende, fundamentalmente, de la motivación que éste tenga para abandonar definitivamente el consumo de
«Todas las guías coinciden en considerar que el tratamiento del tabaquismo ha de ser diferente para cada fumador y que depende fundamentalmente de la motivación que éste tenga para abandonar definitivamente el consumo de tabaco»
tabaco (19). Por este motivo es importante no sólo individualizar cada caso, sino también, y mucho, cuidar nuestro lenguaje para “no culpar” al paciente. Fumar es una enfermedad, no un hábito o un vicio, y no sólo con fuerza de voluntad se puede dejar de fumar, pues al tratarse de un proceso crónico cursa con períodos de remisión y recidivas (21). Tenemos que empatizar con el fumador compartiendo con ellos el reto de dejarlo (2).
En primer lugar, la intervención básica es identificar y documentar el uso del tabaco en cada visita junto al consejo de salud, para motivar o reforzar la conducta de abandono, centrándonos en los múltiples beneficios que aporta la cesación tabáquica, lo que debería realizarse de manera rutinaria en cada visita (6, 11). Pero sólo con esto no es suficiente, ya que los fumadores que quieren hacer un intento serio de abandono han de recibir dos tipos de intervención: terapia conductual, utilizando herramientas de motivación que generen un cambio de conducta, rutinas y estilo de vida para combatir la dependencia psíquica a la nicotina; y terapia farmacológica, en aquellos pacientes más resistentes

al abandono, con varios intentos previos y/o casos de fuerte dependencia física a la nicotina. El empleo de terapias sustitutivas de nicotina (TSN) o fármacos como la citisina, la citisiniclina, el bupoprión o la vareniclina mejorará la eficacia de la intervención (10, 19, 20, 23, 24).
Existen varios modelos estructurados pensados con el fin de ayudar a aplicar intervenciones para tratar el consumo de tabaco. El más conocido es el de las “5 A´s” smoking cessation guidelines (11, 21), base del protocolo de cesación tabáquica publicado por SEPA en 2021 (1). En una nueva revisión del protocolo, se propone el modelo simplificado “3 A’s” (del inglés Ask, Advise, Act), más sencillo de aplicar y que consigue resultados similares (5) (Tabla 1)
Paso 1. Averiguar (Ask) la condición de fumador, características del uso del tabaco e identificar si el paciente quiere dejar de fumar para poder marcar unos objetivos de actuación Hay que identificar sistemáticamente a todas las personas que consumen algún producto de tabaco en cada visita al consultorio dental, recogiendo unos datos básicos
mediante una serie de preguntas que no llevan más de 5 minutos. El objetivo es diagnosticar al fumador desde tres puntos de vista, identificando: a) el grado de tabaquismo (cuánto fuma al día/semana y número de años que lleva fumando); b) la fase de abandono en la que se encuentra (contemplación, precontemplación o preparación); y c) el grado de adicción física a la nicotina: esto último puede averiguarse de manera rápida conociendo el tiempo que tarda en encender el primer cigarrillo de la mañana, siendo este un dato de especial relevancia (24). Podríamos considerar que un fumador de 20 o más cigarrillos diarios, que lleva muchos años fumando y que se enciende el primer cigarro en la primera media hora tras levantarse de la cama, tiene un grado de dependencia física moderada a severa.
•Preguntas propuestas para identificar el estadio de motivación para el cambio en el que se encuentra el paciente (Tabla 2)
-¿Ha pensado en dejar de fumar? ¿Estaría dispuesto a dejar de fumar en breve? Si no está interesado en dejar de fumar, iremos directamente al paso 2.

Si el paciente está interesado en dejar de fumar, entramos en la fase de preparación y seguimos preguntando:
-¿Quiere dejarlo de manera radical o de manera progresiva?
-¿Cómo se plantea hacerlo? La apuesta sería que intentaran dejar de fumar de una forma drástica y sin ayuda farmacológica cuando la dependencia a la nicotina es baja o media, aunque es imprescindible tener en cuenta las características individuales y la decisión del propio paciente. En todos los casos, el paciente fumador necesitará de un apoyo profesional por nuestra parte.
–¿Qué obstáculos cree que va a encontrar? Con el fin de evaluar miedos y expectativas. Identificar qué personas de su entorno pueden ser su apoyo externo.
-¿Ha realizado intentos previos?
Averiguar si han sido en el último año, en los últimos 5 años o alguna vez en su vida; si utilizó métodos de apoyo para la cesación y el tiempo que estuvo abstinente (días, semanas, meses o años). Identificar cuál fue el posible motivo de la recaída.
-¿Qué es lo que no le gusta de fumar? Para disponer de la
información sobre qué es lo que más le puede motivar a dejarlo y poder así personalizar nuestros consejos.
-¿Cuál es el principal motivo para querer dejar de fumar? Identificar qué razones pueden ayudar a motivarle para dejar el tabaco y escribir una lista.
Haremos preguntas abiertas y dejaremos que nos cuente cuáles son sus temores si deja de fumar y reforzar el mensaje de que hay muchos más beneficios que inconvenientes. Hay que ayudarle a que sea capaz de identificar y reconocer estos miedos para reforzar la intención de dejarlo. Esta información sobre los sentimientos y creencias, ideas y pensamientos del paciente fumador hemos de utilizarla como argumento para dejar el tabaco y nos servirá también para orientarnos en la dificultad existente para cambiar su conducta adictiva (2).
Es importante también ser capaz de reconocer las variables asociadas con bajas tasas de éxito en la abstinencia como son: a) la alta dependencia a la nicotina; b) el uso de otras sustancias o presencia de desórdenes psiquiátricos (abuso de

alcohol, depresión, esquizofrenia, etc.); c) un alto nivel de estrés; y d) convivencia con otros fumadores (20). Estos datos nos darán una idea de la complejidad de la intervención, considerando la necesidad de un apoyo farmacológico, así como la posibilidad de derivar al fumador a un centro especializado, como son las unidades de tabaquismo (17).
Paso 2. Aconsejar (Advise) sobre cómo elaborar un plan para conseguir dejar el tabaco y proporcionar información práctica sobre el proceso de abandono del tabaco, tratando de individualizar las recomendaciones según el paciente se plantee o no dejar de fumar en el momento actual Iniciaremos la intervención de manera individualizada, por lo que:
-Si el paciente no se plantea dejar de fumar en breve (Tabla 3) : a) Preguntarle si estaría dispuesto a realizar un intento serio en los siguientes 6 meses. Si su respuesta es afirmativa, estaría en fase de contemplación; y si fuera negativa, en la de precontemplación. Averiguar cuáles son las razones para desear seguir fumando o qué tendría
que pasar para que se empezara a plantear dejar de fumar. En ambos casos hay que ofrecerle un consejo breve, serio, sencillo, firme, convincente y personalizado sobre la importancia de intentarlo en otro momento. Ofrecerle apoyo si en un futuro tomara la decisión de dejar de fumar y dar la opción de entregarle material informativo impreso para leer en casa, que incluya los beneficios/efectos positivos de la cesación tabáquica en su salud bucodental y en la respuesta a los tratamientos bucodentales, así como una lista de motivos para dejar de fumar.
b) Animarle a disminuir el número de cigarrillos (por ejemplo, no fumar caminando por la calle, en el coche o en casa) y explicar por qué estaría bien dejarlo (por ejemplo, ahorro de tiempo y de dinero, además de los beneficios para la salud propia y la de sus personas cercanas).
-Si el paciente quiere dejar de fumar está en fase de preparación. En este caso hay que (Tabla 4) :
a) Reforzar la motivación ofreciendo información por escrito de los beneficios/efectos positivos de la cesación tabáquica en la salud oral


y general, sobre las características y duración del síndrome de abstinencia y una lista de consejos prácticos para los primeros días sin fumar.
b) Hacer hincapié en que no se deben sustituir los cigarrillos convencionales por cigarrillos electrónicos ni por otras formas actuales de fumar que no liberan humo, como los vapeadores o las bolsitas de nicotina.
c) Marcar con el paciente la fecha del cese en un plazo máximo de 1 mes y aconsejar la reducción del consumo a la mitad desde ese mismo día de consulta hasta el día anterior al acordado para el abandono. Debe elegirse un buen momento para dejarlo como son aquellos con menos estrés en el trabajo, durante las vacaciones o tras un día especial, como un cumpleaños o aniversario. En caso de que el paciente sólo esté interesado en reducir el número de cigarrillos consumidos hasta un futuro intento de cesación, fijar un número de cigarrillos diarios y aconsejar al paciente llevar un autorregistro.
d) Tener en cuenta a la familia, amigos y compañeros de trabajo para contarles su decisión y pedir su apoyo. Esto hace también que aumente el compromiso.
e) Anticiparse a los desafíos que
surgirán al intentar dejar de fumar, como el temido incremento de peso. Darle consejos prácticos para la resolución de problemas e informarle de la importancia de evitar consumos puntuales y de que una posible recaída también puede formar parte del proceso, no debiendo verse necesariamente como algo frustrante ni negativo.
f) Retirar de su entorno todo aquello relacionado con el tabaco y lograr que su casa o trabajo sea un espacio libre de humo.
Adaptaremos el método de intervención al grado de dependencia a la nicotina, experiencias/ fracasos previos y características del paciente. En casos de baja dependencia a la nicotina, sólo con el apoyo psicológico podremos ayudar al paciente dándole consejos prácticos para cuando deje de fumar; pero en un gran número de situaciones será necesario combinarlo con apoyo farmacológico, habiéndose demostrado que es mucho más eficaz esta combinación terapéutica (21, 23, 24).
Para la prescripción de estos fármacos por parte del odontólogo es imprescindible conocer las características de cada fármaco, los protocolos de uso, sus posibles efectos secundarios, así como llevar
un buen seguimiento para valorar la tolerancia y adhesión al tratamiento. El tratamiento farmacológico del tabaquismo ha sufrido importantes cambios en la última década y debe ser contemplado de manera personalizada con el fin de aumentar las posibilidades de éxito terapéutico. Han aparecido nuevos fármacos, se han modificado las formas de utilización, las dosis y sus indicaciones (19). Antes de su prescripción es indispensable conocer la situación médica del paciente, enfermedades, alergias, toma de otros medicamentos, etc.; para determinar qué tipo de terapia será la más apropiada. Basándonos en la recomendación de SEFAC para el manejo farmacológico en la cesación tabáquica (23), podemos decir que (Tabla 5 ): a) Si son fumadores con poca dependencia y consumo bajo se recomendará la Terapia Sustitutiva con Nicotina (TSN) que se basa en la administración de nicotina por una vía distinta a la inhalada con el fin de controlar o evitar la clínica asociada al síndrome de abstinencia. Está reconocida como terapia de primera línea y se utiliza con éxito
desde hace muchos años en el tratamiento del tabaquismo. Estos medicamentos no están sujetos a prescripción médica. Como respuesta a una duda que se plantea con frecuencia, la TSN tiene escasas posibilidades de generar un trastorno adictivo sustitutivo (19) al alcanzar niveles en sangre inferiores al 50% y porque los picos de nicotinemia son menores y más diferidos. Además, hay que considerar que la mayoría de las enfermedades derivadas del tabaquismo no se deben a la nicotina sino al gran número de sustancias tóxicas contenidas en el humo del tabaco.
1. Chicles. Las dosis se han de ajustar al grado de dependencia física del fumador. En fumadores de consumo bajo y poca dependencia se recomiendan chicles de 2 mg, cada 1 a 2 horas; y en fumadores con mayor dependencia se utilizarán chicles de 4 mg con similar pauta. La duración del tratamiento será de 8 a 12 semanas, prolongándose hasta los 6 a 12 meses en los casos de mayor dependencia. Las dosis se han de ir reduciendo progresivamente a partir de las 4 a 8 semanas de tratamiento. También pueden utilizarse de modo puntual

HAY UNA TOXINA BOTULÍNICA
QUE PUEDES UTILIZAR.
DESDE YA.

Fotografía de stock. No es una paciente real
Xeomin® es la única toxina botulínica que puede ser administrada por dentistas1-3*

El reto que entraña la espasticidad del hombro
La espasticidad del hombro puede afectar a la calidad de vida y la dependencia de los pacientes.1
Los músculos de los hombros son responsables de una gran variedad de movimientos1
Para más información, solicitar formación, o realizar un pedido, escanee este QR o contacte con Merz Therapeutics en pedidostx@merz.com
La espasticidad del hombro puede:

• restringir la capacidad de vestirse o alcanzar objetos, llegando a repercutir en el bienestar mental.
*Xeomin es la única toxina botulínica aprobada para la indicación en sialorrea crónica. Esta se considera englobada dentro de las anomalías y enfermedades a ser tratadas por odontólogos conforme al artículo primero de la ley 10/1986 sobre odontólogos y otros profesionales de la salud dental.
**No conservar a una temperatura superior a 25ºC

• conllevar problemas de higiene axilar o apariencia, y puede mermar la autoestima.
Como consecuencia, todo esto puede:
• afectar a la confianza para socializar y limitar la capacidad de interacción con el entorno y forma de expresarse y desenvolverse en la comunidad.
Escanee el código QR para acceder a la información completa de la Ficha Técnica de Xeomin
Escanee el código QR para acceder a la información completa de la Ficha Técnica de XEOMIN®:
Condiciones de prescripción y dispensación. Medicamento sujeto a prescripción médica. Uso hospitalario. Reembolsable por el Sistema Nacional de Salud. Presentaciones y precios. XEOMIN 50 unidades: Envase con 2 viales:
PVP: 205,03€. PVP IVA: 213,23€. XEOMIN 100 unidades: Envase con 1 vial:
PVP.: 205,03€. PVP IVA: 213,23€. Envase con 4 viales (envase clínico):
Condiciones de prescripción y dispensación. Medicamento sujeto a prescripción médica. Uso hospitalario. Reembolsable por el Sistema Nacional de Salud. Presentaciones y precios. XEOMIN 50 unidades: Envase con 2 viales: PVP: 205,03€. PVP IVA: 213,23€. XEOMIN 100 unidades: Envase con 1 vial: PVP.: 205,03€. PVP IVA: 213,23€. Envase con 4 viales (envase clínico): PVP.: 669,98€. PVP IVA: 696,78€. XEOMIN 200 unidades: Envase con 1 vial: PVP.: 369,15€. PVP IVA: 383,92€. Envase con 2 viales: PVP.: 692,39€. PVP IVA: 720,09€.
Por todo ello, los músculos del hombro constituyen un importante objetivo de tratamiento en el abordaje de la espasticidad de las extremidades superiores con XEOMIN®
PVP.: 669,98€. PVP IVA: 696,78€. XEOMIN 200 unidades: Envase con 1 vial: PVP.: 369,15€. PVP IVA: 383,92€. Envase con 2 viales: PVP.: 692,39€. PVP IVA: 720,09€.
1. Ficha técnica de Xeomin. 2. Ley 10/1986, de 17 de marzo, sobre Odontólogos y otros profesionales relacionados con la salud dental. BOE» núm. 68, de 20 de marzo de 1986, páginas 10562 a 10563. 3. Comunicado del Consejo General de Colegios Oficiales de Médicos y del Consejo General de Colegios Oficiales de Dentistas: https://consejodentistas.es/wp-content/uploads/2023/04/01-DeclaracionComunicado-sobre-el-uso-de-microfillers-o-toxina-botulinica.pdf www.merztherapeutics.com/es
para controlar situaciones de deseo compulsivo o craving intenso (19).
2. Comprimidos para chupar (1-2 mg de nicotina). Su mecanismo de absorción y su farmacocinética son relativamente similares a los chicles de 2 o de 4 mg, respectivamente (19).
3. Parches. Es una forma de administración de nicotina lenta y progresiva. Los parches de 24 horas (7, 14 o 21 mg) son tan eficaces como los de 16 horas (10 a 15 mg). Deben utilizarlos fumadores con dependencia leve a moderada. En el caso del parche de 16 horas, la dosis recomendada es de 25/mg día y para el de 24 horas, la dosis es de 21 mg/ día. Deben utilizarse en un período no inferior a 6-8 semanas y no superior a 12 semanas. La interrupción precoz facilita la recaída y la prolongación más allá no aumenta la tasa de éxito. Se aconseja una reducción progresiva (19).
4. Aerosol bucal (1 mg) aplicando 1-2 puff cuando hay muchas ganas de fumar y se necesita aliviar rápidamente la ansiedad. Reducir a la mitad antes de la séptima semana hasta suprimirlo a las 10 semanas. Pulverizar dentro de la boca, evitando labios y garganta. No inhalar para evitar entrada del medicamento en el tracto respiratorio y para mejores resultados no tragar saliva durante unos segundos.
Estos tratamientos estarían contraindicados en casos de enfermedad cardiovascular grave, úlcera gastroduodenal activa, daño hepático o renal grave, embarazo y lactancia (19, 23). Como posibles efectos secundarios está el prurito y eritema en la zona de aplicación del parche, mialgias, cefaleas, mareo, palpitaciones, alteraciones del sueño y síntomas digestivos leves; y en el caso de la administración de chicles/
«Los fumadores que quieren hacer un intento serio de abandono han de recibir dos tipos de intervención: terapia conductual y terapia farmacológica»
comprimidos, alteraciones digestivas (dispepsia, náuseas, diarrea), ulceras bucales, irritación o dolor de garganta, cefaleas, mareos, dolor en la articulación temporomandibular y mal sabor de boca (19).
b) Si son fumadores con alta dependencia y consumo moderadoalto, ya sea de manera única o junto a la TSN, existe la posibilidad de administración oral de diferentes fármacos, siendo en la actualidad la citisina y la citisiclina (homólogo de la citisina) los más utilizados, aunque en algunos casos se sigue prescribiendo el bupoprión y en breve volverá a comercializarse la vareniciclina como genérico.
1. Bupoprión (Zyntabac®). No se conoce con exactitud su mecanismo de acción. Su efecto principal es la reducción del craving o deseo compulsivo de fumar y una reducción significativa en la intensidad de los síntomas del síndrome de abstinencia. Se utiliza en dosis de 150- 300 mg/ día durante un período de 7 a 9 semanas y su tratamiento se iniciará de 7 a 15 días antes de abandonar definitivamente el consumo de tabaco. Está contraindicado en pacientes con epilepsia, trastornos
«Los fármacos no quitan las ganas de fumar y el objetivo de su uso es facilitar la abstinencia a largo plazo al reducir la ansiedad de la dependencia a la nicotina»
convulsivos, bulimia/anorexia nerviosa, trastorno bipolar, uso de IMAO y cirrosis hepática. Ha de usarse con precaución en fumadores que están tomando medicación que reduce el umbral convulsionante, con antecedentes de alcoholismo o de traumatismo craneoencefálico. Se aconseja reducir la dosis a la mitad en mayores de 65 años, o aquellos con insuficiencia renal, hepática o bajo peso. Como efectos adversos están la sequedad de boca, insomnio, inestabilidad, cefalea, náuseas, manifestaciones alérgicas cutáneas y menos frecuentemente, convulsiones (19).
2. Vareniclina. Es un fármaco específicamente desarrollado para la cesación tabáquica. Actúa como agonista parcial selectivo de los receptores nicotínicos de las neuronas. Es capaz de controlar el craving, el síndrome de abstinencia y facilita que las recaídas no se acompañen de sensación placentera o de recompensa y, por ello, ayuda a que una recaída no se convierta en un fracaso del tratamiento. Se elimina totalmente por orina sin metabolización hepática, por
lo que no presenta problemas de interacción con otros medicamentos. El efecto adverso más común son las náuseas, pero de intensidad leve y autolimitadas en el tiempo (19).
3. Citisina (Todacitan®) y Citisiclina (Recigarum®). Son alcaloides de origen vegetal que compiten con la nicotina por los mismos receptores y la desplazan gradualmente. Por otro lado, produce una liberación moderada de dopamina controlando los síntomas del síndrome de abstinencia y facilitando el abandono (25). Actualmente está financiado por el sistema sanitario (un intento anual por paciente). Estudios y ensayos clínicos han demostrado un adecuado perfil de seguridad y eficacia ya que triplica las posibilidades de abandonar el tabaco (25, 27). El tratamiento dura 25 días y la pauta de administración viene especificada en la misma caja en la que se dispensa el fármaco. Hay que dejar de fumar el quinto día de tratamiento y en caso de fracaso, interrumpirlo y reanudarlo después de 2 a 3 meses. Está contraindicado en pacientes con insuficiencia renal o hepática, embarazadas o en época de lactancia, en casos de arritmias, angina inestable, antecedentes de infarto de miocardio o accidente cerebrovascular, en menores de 18 o mayores de 65 años. Se debe administrar con especial precaución en pacientes con hipertiroidismo, diabetes, esquizofrenia, úlcera gástrica/duodenal, cardiopatía isquémica, insuficiencia cardíaca, angina inestable, antecedentes de infarto o accidente cerebrovascular, arterioesclerosis u otras enfermedades vasculares periféricas. Este fármaco interacciona con anticonceptivos hormonales con una posible disminución de su efecto.
Como reacciones adversas, las más habituales son náuseas y mareos, sequedad de boca, trastornos del sueño (sueños anormales y dificultad para dormir), ansiedad, fatiga, cambios de humor, taquicardia, hipertensión, mialgia, cefalea y erupción cutánea (23, 25).
Por último, hay que recordar que también suscitan interés entre algunos fumadores que quieren abandonar el consumo, las diferentes terapias alternativas como son la acupuntura, tratamientos con láser o hipnosis. Hay que orientarles de manera clara a este respecto pues no hay suficientes pruebas de que realmente sirvan para mejorar las tasas de abandono del tabaco ni de que se consigan mejores resultados (21, 26).
Paso 3. Acompañar (Act), aprovechando cada visita a la consulta para hacer un seguimiento del proceso de abandono del tabaco, recordando los beneficios del cese y reforzando la motivación para continuar o para volver a intentarlo en caso de recaída
Las dos intervenciones llevadas a cabo con mayor frecuencia son las dos primeras, averiguar y aconsejar, dejando de lado muchas veces algo tan importante como es que el fumador se sienta acompañado en este reto (13, 20). Para realizar un buen acompañamiento durante el seguimiento y reforzar el cambio es muy útil hacer una recogida de datos en cada una de las visitas sobre la experiencia del paciente en el abandono o en la reducción del consumo de tabaco. La finalidad es verificar la abstinencia, vencer las resistencias, reforzar positivamente la deshabituación y prevenir recaídas. El apoyo psicológico consistirá en dar consejos para mantenerse sin fumar, transmitirle atención e interés por nuestra parte y felicitarle por sus logros para reforzar el abandono. Se le debe mencionar que el riesgo máximo de recaída es a los 3 meses y recordar que deben ver la recaída no como un fracaso sino como una experiencia de aprendizaje. Si se produce, se deben evitar sentimientos de culpabilidad y analizar lo sucedido para valorar cómo manejar futuros intentos. Hay

que conseguir que vuelva a fijar un nuevo compromiso para abandonar el tabaco, valorando la posibilidad de otro tipo de ayuda, como la farmacológica o la intervención psicológica, para dejar siempre la puerta abierta a ese nuevo intento.
Este paso es además especialmente importante e imprescindible en el caso de prescripción de fármacos, pues hay que monitorizar la adherencia al tratamiento, el cumplimiento así como la posible aparición de efectos adversos (25) (Tabla 6)
Preguntas propuestas en esta fase:
-¿Cómo se ha sentido física/ emocionalmente? ¿Qué dificultades se ha encontrado?
-Si no ha cumplido el objetivo, ¿por qué cree que ha podido suceder? ¿Qué situaciones ha de evitar en el próximo intento?
-¿Cuándo se sentirá preparado para una nueva tentativa?
-¿Relaciona el consumo de tabaco con alguno de estos momentos? Épocas de estrés, reuniones con amigos, consumo de bebidas
excitantes como el café o el alcohol, en locales de ocio nocturno, al hablar por teléfono, después de las comidas principales, antes de ir a dormir, al trabajar en el ordenador, etc.
-¿Convive con otro fumador/es?
-¿Ha tenido apoyo de las personas más cercanas?
Con esta información nos podremos orientar mejor en cómo ayudar al paciente y en qué consejos hemos de aportar para próximos intentos.
No siempre podemos considerar a una persona como exfumador a partir de 1 año del cese, ya que existe la posibilidad de recaídas más tardías pues siempre se es un fumador en potencia y se debe estar vigilante para mantener en el tiempo la situación de cese del consumo. Por ello, es necesario reforzar el cambio de conducta en cada visita de revisión, tratamiento o de mantenimiento periodontal.
Si el paciente lleva más de 5 años sin fumar y no se ha producido ninguna recaída, podemos considerar finalizado con éxito el proceso de cambio. ●
1. IZQUIERDO R, DALMAU R, JIMÉNEZ X, LÓPEZ DURÁN A, CARASOL M. Protocolo cesación tabáquica en la consulta dental. Grupo de trabajo de la Sociedad Española de Periodoncia y Osteointegración (SEPA) y el Comité Nacional para la Prevención del Tabaquismo (CNPT). 2021. Disponible en: https://sepa.es/wp-content/uploads/wpdm-cache/ Protocolo-Cesacion-Tabaquica
2. WHO Report on the global tobacco epidemic 2015. World Health Organization. Disponible en: https://apps.who.int/iris/ handle/10665/178574
3. CHAFFEE B W, COUCH ET, VORA MV, HOLLIDAY RS. (2021). Oral and periodontal implications of tobacco and nicotine products. Periodontol 2000; 87: 241-53. doi:10.1111/prd.12395
4. RAMSEIER CA, WOELBER JP, KITZMANN J, DETZEN L, CARRA MC, BOUCHARD P. Impact of risk factor control interventions for smoking cessation and promotion of healthy lifestyles in patients with periodontitis: A systematic review. J Clin Periodontol 2020; 47: 90–106. https://doi. org/10.1111/jcpe.13240
5. CARR AB, EBBERT J. Interventions for tobacco cessation in the dental setting. Cochrane Database of Systematic Reviews 2012, Issue 6. Art. No: CD005084. DOI: 10.1002/14651858.CD005084. pub3.
6. REIBEL J. Tobacco and oral diseases: update on the evidence, with recommendations. Med Princ Pract 2003; 12 (Suppl. 1): 22-32. https://doi.org/10.1159/000069845
7. CHAMBRONE L, PRESHAW PM, ROSA EF, HEASMAN PA, ROMITO GA, PANNUTI CM, TU Y-K. Effects of smoking cessation on the outcomes of non-surgical periodontal therapy: a systematic review and individual patient data meta-analysis. J Clin Periodontol 2013; 40: 607–15. doi: 10.1111/ jcpe.12106.
8. FIORINI, T, MUSSKOPF ML, OPPERMANN RV, SUSIN C. Is There a Positive Effect of Smoking Cessation on Periodontal Health? A Systematic Review. Journal of Periodontology 2014; 85: 83-91. https://doi.org/10.1902/ jop.2013.130047
9. PREBER H AND BERGSTRÖM J. Effect of cigarette smoking on periodontal healing following surgical therapy. Journal of Clinical Periodontology 1990; 17: 324-28. https://doi.org/10.1111/ j.1600-051X.1990.tb01098.x
10. CHAFFEE BW, COUCH ET, RYDER MI. The tobacco-using periodontal patient: role of the dental practitioner in tobacco cessation and periodontal disease management. Periodontol 2000. 2016; 71: 52-64. doi: 10.1111/prd.12120.
11. RAMSEIER CA, SUVAN JE. Behaviour change counselling for tobacco use cessation and promotion of healthy lifestyles: a systematic review. J Clin Periodontol 2015; 42 (Suppl. 16): S47–S58. doi: 10.1111/jcpe.12351
12. Productos de tabaco y nicotina: viejos, nuevos y peligrosos para los niños. Accesible en: https://www.healthychildren. org/Spanish/health-issues/conditions/tobacco/Paginas/ Alternative-Forms-of-Tobacco.aspx
13. XU F, ABOSERIA E, JANAL M ET AL. Comparative effects of E-Cigarrete aerosol on Periodontium of periodontitis patients. Front Oral Health 2021; 2: 729144. doi: 10.3389/ froh.2021.729144
14. HOLLIDAY R, CHAFFEE BW, JAKUBOVICS NS, KIST R, PRESHAW PM. Electronic Cigarettes and Oral Health. J Dent Res. 2021; 100: 906-13. doi: 10.1177/00220345211002116.
15. CONEJERO MERCHÁN B ET AL. Una causa infrecuente de hemoptisis. Prev Tab. 2023; 25: 127-128
16. THOMAS SC, XU F, PUSHALKAR S ET AL. Electronic Cigarette Use Promotes a Unique Periodontal Microbiome. mBio. 2022, 22: 13: e0007522. doi: 10.1128/mbio.00075-22.
17. MATA N, GALÁN I, GUIRAO H ET AL. Consumo de tabaco, consejo sanitario y actitudes frente al tabaquismo en los dentistas de la Comunidad de Madrid. RCOE 2008; 13: 131-47.
18. VILLALBI, J, SUELVES J, MARTÍNEZ C ET AL. El control del tabaquismo en España: situación actual y prioridades. Rev. Esp. Salud Publica [online]. 2019, vol.93 [citado 2024-0410], e201907044. Disponible en: <http://scielo.isciii.es/scielo. php?script=sci_arttext&pid=S1135-57272019000100014&lng =es&nrm=iso>.
19. JIMÉNEZ-RUIZ CA, RIESCO JA, RAMOS A ET AL. Recomendaciones para el tratamiento farmacológico del tabaquismo. Arch Bronconeumol 2008; 44: 213-9
20. CHAN HL, CHAN AK, CHU CH ET AL. Smoking cessation in dental setting. A narrative review on dental professional´s attitude, preparedness, practices and barriers. Front Oral Health 2023; S4:1266467. doi.10.3389/froh.2023.1266467
21. FIORE ET AL. Treating Tobacco Use and Dependence: 2008 Update. Content last reviewed February 2020. Agency for Healthcare Research and Quality, Rockville, MD. Citado en: https://www.ahrq.gov/prevention/guidelines/tobacco/index.html
22. HUGHES JR. A clinical practice guideline for treating tobacco use and dependence. Cancer J Clin 2008; 50: 147.
23. Grupo de trabajo de Respiratorio y Tabaquismo de SEFAC. Tratamiento farmacológico actual del tabaquismo. Doi:10.33620/FC.2173-9218 (2022) IFG.004. ISBN:978-84-0940525-1
24. TORRECILLA GARCÍA M, DOMÍNGUEZ GRANDAL F, TORRES LANA A ET AL. Recomendaciones en el abordaje diagnóstico y terapéutico del fumador. Documento de consenso. MEDIFAM 2002; 12: 484-92.
25. Abstinencia a corto plazo y seguridad de citisina. Un estudio multicéntrico y observacional en España. Landín Rey E, Canos E, Vázquez Gallardo R et al. Prev Tab 2023; 25: 113-19.
26. FU D, OGAWA H, YAHYA IB ET AL. Guía para la deshabituación tabáquica destinada a los profesionales de la salud bucodental. Equipo de trabajo para la deshabituación tabáquica de la FDI World Dental Federation 2021.
27. RIGOTTI NA, BENOWITZ NL, PROCHASKA J, LEISCHOW S, NIDES M, BLUMENSTEIN B, CLARKE A, CAIN D, JACOBS C. Cytisinicline for Smoking Cessation: A Randomized Clinical Trial. JAMA 2023; 330: 152-60. doi: 10.1001/jama.2023.10042.
Prótesis final de circonio sectorizado

DR. LUIS CUADRADO CANALS
DDS i2 Implantología Madrid.
Dra. Sara Perrone
DDS i2 Implantología Madrid.
Dra. Cristina Cuadrado Canals
DDS i2 Implantología Madrid.
Roberto Vives
TPD Laboratorio «Dental Full Digital» Madrid.
Ignacio Montiel
TPD Laboratorio «Dental Full Digital» Madrid.
Dr. Luis Cuadrado de Vicente
MD DDS i2 Implantología Madrid.
Siendo la norma lograr un tratamiento sencillo y reproducible, en función de la situación clínica del paciente y también del momento del tratamiento, elegiremos un protocolo Di2gitalArch adecuado para el caso.
Los objetivos iniciales de tratamiento, en un tratamiento de arcada completa con implantes, deben ser buscar sencillez y precisión, tanto quirúrgica como protésica.
Los protocolos Di2gitalArch están diseñados para obtener esta absoluta fiabilidad de resultados.
Presentamos otro caso clínico (Figuras 1-49) con la técnica Di2gitalArch Stacked. Esta técnica, al tener varios escaneados intraorales, de todas las fases del tratamiento permite alinear perfectamente los archivos y, además, sobre todo, comprobar que todos los archivos Di 2 gital al dí 2 a
«Es fundamental dar adecuado torque a los pilares y usar la fresa perfiladora para asegurarnos que no hay hueso entre el pilar y el implante»
son correctos y no arrastran ninguna imprecisión.
Transmitimos la oclusión y estética preoperatoria del paciente y la posición de los implantes.
El laboratorio encuentra así un trabajo mucho más sencillo y, sobre todo, preciso.
La elección correcta del implante es fundamental. Un implante como Bioner TopDM permite una cirugía sencilla y un alto torque de inserción. Los pilares Bioner micromini permiten conseguir muy buenos perfiles de emergencia. Es fundamental dar adecuado torque a los pilares y usar la fresa perfiladora para asegurarnos que no hay hueso entre el pilar y el implante. En la cirugía haremos uso de los pilares angulados (multiunit), si es necesario corregir la emergencia del tornillo de prótesis.
El caso se diseña en Dental System y se fresa en TelioCAD, cementando las bases de titanio de los pilares.
Tres horas después de finalizada la cirugía la prótesis está lista para ser colocada.







Basados en la carga inmediata y exclusivamente en la utilización del escáner intraoral, permiten al equipo de tratamiento quirúrgico transmitir al laboratorio digital toda la información que necesita para elaborar la prótesis de arcada completa de carga inmediata en el mismo día.
Los pasos de esta técnica
Standard Stacked son:
1. Escaneado preoperatorio de maxilar superior, inferior y oclusión (enviar al laboratorio).
2. Colocación de algún implante, pilar y scanbody en zona edéntula sin o con exodoncia de algunas piezas estratégicas.
3. Escaneado intraoral del maxilar a tratar (enviar al laboratorio).
4. Exodoncia piezas y colocación de más implantes (sin retirar ni mover los scanbodies colocados en los implantes iniciales).
5. Nuevo escaneado intraoral (enviar al laboratorio).
6. Repetir paso 4 y 5 las veces que se consideren necesarias hasta enviar el archivo final solo con los implantes finales.
7. Escaneado final sólo con los scanbodies para perfiles de emergencia.
Esta técnica tiene la gran ventaja de:
-Permite “guiar” la colocación de los implantes en la mejor posición protética y la correcta selección del pilar.
-Al recibir distintos archivos en los que siempre hay piezas o scanbodies
en la misma posición, el laboratorio puede realizar un perfecto best-fit de los diferentes archivos.
-Quizá lo más importante es que, por esa misma razón, el laboratorio dental chequea que no haya ninguna distorsión en los archivos y que todos ellos sean perfectos.
La elección de una prótesis de circonio sectorizado permite evitar los problemas que plantean las prótesis de circonio monolítico de arcada completa. Por ello, es importante elegir el número y posición de los implantes para poder realizar esta rehabilitación con puentes sectorizados. La elección de la técnica queda siempre a elección del equipo de trabajo en función de la situación clínica del paciente. ●






































































































































































Más de 30 años de experiencia


Toda la competencia técnica y científica de Bioner al servicio del sistema Top DM, un implante que optimiza la gestión y el cuidado de los tejidos del paciente con excelentes resultados.

Desarrollado por el Dr. David Morales Schwarz
10 años de éxitos
Elaborado con titanio de grado 5, dotado de un núcleo cónico expansivo, doble paso de rosca y ápice neutro para una colocación rápida y segura. Top DM, una solución versátil y avanzada.







Los implantes dentales Top DM han alcanzado un impresionante índice de fiabilidad superior al 98% en más de 300.000 implantes colocados en 5 años, según los datos recopilados por nuestro estudio de Postmarket.
Este hito refleja nuestro compromiso continuo con la excelencia y la calidad en la industria de la odontología.

900 833 807
bioner@bioner.es
669 613 740















































































































































¡CONSIGUE EL LIBRO DEL DR. LUIS CUADRADO DE VICENTE EN LA TIENDA GACETA DENTAL!





Premio Santa Apolonia 2023
Cuarenta años dedicados a la Endodoncia han sido galardonados por el Consejo General de Dentistas con el Premio Santa Apolonia. Un reconocimiento, describe el Dr. Borja Zabalegui, «a las personas que nos dedicamos a esta disciplina; a su divulgación, promoción y docencia».
Dr. Borja Zabalegui.
Dr. Zabalegui, ha sido reconocido por el Consejo General de Dentistas con el Premio Santa Apolonia 2023, la máxima distinción que concede la organización a título individual y que premia a los dentistas que más han destacado por sus trabajos, su dedicación y su contribución al prestigio y desarrollo de la Odontología. ¿Qué significa para usted recibir este galardón?
—Cuando el Colegio de Odontólogos de Bizkaia me llamó para proponerme como candidato al Premio Santa Apolonia, lo acogí con mucho cariño y con una emocionante ilusión porque nunca había vislumbrado la posibilidad de que pudiera ser candidato a ese premio. Pero ya cuando desde el Consejo General de Dentistas de España sale mi nombre, lo recibí con una ilusión muy grande. En este sentido, creo que se trata de un reconocimiento a la labor de las personas que nos dedicamos a la Endodoncia; a su divulgación, promoción y docencia. No soy el primer endodoncista que ha recibido este premio, ya que ha habido otros merecidos endodoncistas que también lo han recogido y que es, en realidad, un premio a una carrera profesional, docente y divulgativa de muchos años.
—Su trayectoria se ha centrado exclusivamente en la Endodoncia y en la Cirugía Endodóntica y, precisamente, una de sus contribuciones más importantes en este campo fue la incorporación, en 1995, del microscopio operatorio en la práctica clínica diaria. ¿Qué le llevó a apostar por esta tecnología?
—Lo hicimos por la necesidad de ser mejores, tanto en el tratamiento de endodoncia convencional como en el tratamiento de microcirugía endodóntica. ¿Cómo fue? Por aquel entonces me enteré que a nivel global se estaba iniciando el uso del microscopio, especialmente en Estados Unidos. Por tanto, acudí, me formé y luego, como no podía ser de otra manera, lo incorporé a mi práctica diaria en Albia Clínica Dental. Y
«Debemos difundir a la población, sociedades científicas y áreas de la salud en general que dar una oportunidad al diente significa no solo quitar el dolor, sino regenerar por sí mismo el hueso»
asimismo empecé a hacer la promoción y la divulgación en todos los ámbitos de España, tanto en los colegios donde requerían mi presencia como cuando algún profesional acudía a mi consulta y me decía «Oye, ¿me puedes ayudar? ¿Tú crees que esto del microscopio es interesante?». Yo se lo explicaba y le decía que la aplicación del microscopio era importante porque aportaba luz y aumentos en un entorno, el de la Endodoncia, donde estábamos trabajando prácticamente a oscuras.
—¿Cómo diría que ha transformado esta tecnología su manera de trabajar? En definitiva, ¿qué aporta el microscopio a la práctica endodóntica? ¿Y el resto de tecnologías, como el CBCT?
—El microscopio aporta precisión en nuestro tratamiento de endodoncia, tanto para los tratamientos convencionales como para la microcirugía endodóntica porque nos da más precisión con la vista. Asimismo, la posición de trabajo que requiere el microscopio, con una espalda recta, hace que sea una posición de trabajo muy ergonómica. Esto quizás no sea muy valorado por los dentistas jóvenes, pero los que llevamos muchos años, esta posición de trabajo hace que no tengamos esos problemas lumbares como muchos otros compañeros que están trabajando o bien con lupas convencionales o sin ellas.
PROTAGONISTAS. Dr. Borja Zabalegui

Por otra parte, las imágenes en 3D nos dan datos sobre los tejidos duros, como pueden ser el hueso, el cemento, la dentina y el esmalte. Estos datos reflejados nos dan visiones tanto en la patogenia de la endodoncia en sí misma como en los aspectos asociados de la traumatología dental. Por tanto, en la actualidad, el uso para el diagnóstico y tratamiento de la endodoncia entendemos que es imprescindible y nos da visión de algunas cosas que jamás hubiéramos pensado que podríamos llegar a ver y orientar. Tanto es así que, muchas veces, un diagnóstico realizado en dos dimensiones es totalmente distinto a ese mismo diagnóstico y plan de tratamiento una vez hemos realizado las imágenes en tres dimensiones. Así pues, la incorporación tanto del microscopio operatorio como del uso de estas nuevas tecnologías en formato CBCT se hace imprescindible y nos hace poder acceder, de alguna forma, a la excelencia de nuestro trabajo.
—Ha publicado una gran cantidad de artículos en el ámbito de la Odontología. ¿Qué temas le han resultado más gratificantes de compartir con la comunidad científica y por qué?
—Ha sido muy gratificante el concepto de éxito y fracaso en endodoncia, que son los parámetros biológicos y técnicos que aprendí en la Universidad del Sur de California y que he desarrollado a nivel pregrado, a nivel de los diferentes colegios de odontólogos y estomatólogos de España y a nivel de los seminarios de endodoncia clínica y microscópica que organizo en el centro. Eso incluye conceptos sobre la etiopatogenia, el pulpo-periapical y un concepto docente, endo-óseo, que desarrollé con mucho cariño para poder divulgar o enseñar a mis alumnos estos beneficios de la endodoncia, que lo que hace es regenerar ese hueso apical. Por otro lado, no se puede entender la endodoncia sin la traumatología dentoalveolar, tanto si es liviana como moderada o severa;













































































exige amplios conocimientos de endodoncia, tanto por el odontólogo general como por el especialista, porque tenemos que tomar la decisión de qué dientes deben y pueden ser salvados o conservados después de un tratamiento de endodoncia. A este respecto tengo que incidir que el tratamiento de endodoncia no es solo tratamiento de conductos, como se malinterpreta en ciertas zonas, sino que el tratamiento incluye varias fases o aspectos de tratamiento. Uno de ellos es mantener la pulpa, que recibe el nombre de terapéutica de diente vital. Esto significa que no siempre tenemos que extirpar todo el tejido pulpar, un proceso conocido como tratamiento de conductos y que antiguamente hacía referencia al nombre de polipectomía.
Asimismo, en parte de mis artículos me he centrado en los tratamientos multidisciplinares, los cuales he podido compartir en los distintos colegios de odontólogos o sociedades científicas. Allí he tenido el privilegio de poder hablar individualmente, con mi hermano Ion Zabalegui o con mi esposa María Inmaculada Tabernero Gallimó.
—La formación y la docencia han sido una parte esencial de su carrera, con un Centro de Formación en Endodoncia Clínica y Microscópica en Leioa. ¿Qué le impulsa a seguir formando a nuevas generaciones de dentistas y qué aspectos considera más importantes en la educación de futuros especialistas en Endodoncia?
—Empecé en el centro porque en 1995, cuando incorporo a mi práctica diaria el microscopio, sí que había profesionales que acudían a mí para explicárselo y formarles, tanto en la biología de la endodoncia como en la endodoncia clínica y microscópica, como son los Dres. José Manuel Granero de Murcia y José María Malfaz. Esta formación la hacía directamente en el departamento de Endodoncia de Albia Clínica Dental. Allí venían, me veían trabajar y, una vez acabada la jornada, nos quedábamos en la misma consulta y proyectábamos las radiografías, elaborábamos contenidos teóricos y monitorizaba y tutorizaba los trabajos que ellos me iban trayendo. Entonces me di cuenta que necesitaba un local, un lugar donde atender a todas esas preguntas e inquietudes de los

«El microscopio aporta precisión en nuestro tratamiento de endodoncia, tanto para los tratamientos convencionales como para la microcirugía endodóntica porque nos da más precisión con la vista», detalla el Dr. Borja Zabalegui.

doctores que se acercaban a la clínica a verme trabajar. Por eso, con la indudable ayuda de mi esposa, formamos e iniciamos a nivel personal este centro de formación en Endodoncia Clínica y Microscópica en Leioa. Allí empezaron los seminarios de endodoncia clínica y microscópica con microcirugía endodóntica.
Lo que más me ha ilusionado y dado fuerza para continuar con ello han sido las ganas de aprender del alumnado. Porque el esfuerzo por enseñar ha sido una vivencia irrepetible y única. De hecho, hoy en día, muchos de esos alumnos son mis mejores amigos y, de muchos de ellos, algunos también profesionales, me guío y aprendo.
—¿Qué cualidades y habilidades cree que son más importantes o que deben tener los jóvenes odontólogos que desean especializarse en Endodoncia?
—A todos los endodoncistas nos gusta lo que hacemos. Tenemos pasión por el reto de lograr
realizar un buen diagnóstico y tratamiento y conseguir los objetivos que he referido del mundo de la Endodoncia. Por lo tanto, lo primero que tienen que hacer es formarse para entender la biología y la técnica de la endodoncia, sus pronósticos y sus resultados clínicos, que son buenos para nuestros pacientes, pero también para otras disciplinas de la Odontología y de las Ciencias de la Salud.
—¿Qué consejos les daría a los jóvenes profesionales que quieran desarrollar una carrera en Endodoncia?
—Primero, que no tengan prisa en volcarse exclusivamente en el campo de la Endodoncia y que tengan la mente abierta para hacer un poco de Odontología general y entender cómo funciona no solo la disciplina de la Endodoncia, sino también otras como la Periodoncia, la Implantología, la Ortodoncia, etc. Y es que, cuanta más Odontología general sepas,

mejor. Una vez se decanten por el mundo de la Endodoncia, lo que tienen que hacer es formarse y capacitarse en la etiopatogenia, en el pronóstico, en el diagnóstico y en las alturas de tratamiento. Logrados esos objetivos, hay que seguir actualizándose y renovándose. De no ser así, aquellos que no lo hagan, la misma profesión les pasará por encima y luego será muy difícil recuperar esa excelencia.
—¿Cree que la Endodoncia vive actualmente uno de sus mejores momentos? ¿Considera que tiene suficiente consideración entre el resto de «especialistas»? ¿Y entre los pacientes? —Sí, vive un muy buen momento porque hay muchos y muy buenos odontólogos jóvenes con pasión por la Endodoncia, que lo están haciendo muy bien y que, indudablemente, están dando brillo a esta disciplina. Sin embargo, en estos mundos de la información y las redes sociales, veo que, a pesar de que estamos muy bien, la Endodoncia sigue siendo la gran desconocida. Por lo tanto, en el momento actual, creo que debemos volcarnos, si cabe aún más, en difundir a la población, sociedades científicas y de las áreas de la salud en general que dar una oportunidad al diente significa no solo quitar el dolor, sino regenerar por sí mismo el hueso. Por lo tanto, siguen siendo imprescindibles las tareas de formación y de divulgación.
También hay que volver a los orígenes y, en este caso, empezar por la semántica y eliminar palabros que todavía existen y que son de hace 250 años, como puede ser la desvitalización de órbita.
—Y, mirando hacia el futuro, ¿cuáles son los retos y oportunidades que cree que los profesionales del sector, a nivel general de la Odontología, deberán afrontar en los próximos años y especialmente las generaciones venideras?
—El principal reto que veo es que los jóvenes deben de seguir dando cariño a la profesión porque es muy bonita, muy dinámica y, a nada que le demos un poco de cariño, formación y divulgación, veremos que nos proporcionará un bienestar que todos merecemos. ●
La pasión del Dr. Borja Zabalegui por la Endodoncia empieza, como él mismo explica, «tras terminar mis estudios de Estomatología en la Universidad Complutense de Madrid en 1978. Por diversas circunstancias, me trasladé a Barcelona, donde los Dres. José María Barrachina Sanz y Juan Oliveres Folguera se convirtieron en mis mentores, y gracias a ellos di mis primeros pasos en este campo. Durante esa etapa, también conocí al Dr. Ángel Lasala, lo que influyó en mi decisión de especializarme en Endodoncia. Más tarde, apliqué para un postgrado en la Universidad del Sur de California, dirigido por los Dres. Alfred Frank, Duddley Glick y Marwan Abou-Rass. Allí aprendí los fundamentos y las opciones de tratamiento que, a lo largo de los años, he transmitido a mis alumnos en España, tanto en pregrado como en los cursos del Consejo General de Dentistas y en los seminarios de Endodoncia Clínica y Microscópica en Leioa. Esta formación me llevó a Bilbao en 1982, donde fundé junto a mi amigo Jaime Alfonso Gil Lozano y mi hermano Ion Zabalegui, Albia Clínica Dental. Recientemente, mi hijo Gonzaga se ha unido al Departamento de Endodoncia tras completar el mismo programa de postgrado en la Universidad del Sur de California, 40 años después que yo. Esto ha sido un acontecimiento muy especial, y espero que siga contribuyendo tanto en el ámbito asistencial como en el formativo».
No podemos fabricar más tiempo, pero podemos ayudarte a aprovecharlo mejor. Las lupas, parte fundamental de tu kit para la excelencia en el trato al paciente, están clínicamente probadas para aumentar la productividad. Ve con claridad, atiende a más pacientes.






Premio Dentista del Año 2023
Su trabajo por el reconocimiento de las especialidades odontológicas y su larga trayectoria en Cirugía Bucal le han hecho merecedor de este galardón otorgado por el Consejo General de Dentistas. Un premio, reconoce el presidente de la Sociedad Española de Cirugía Bucal (SECIB), por el que se siente «muy honrado y feliz».
El Consejo General de Dentistas le ha otorgado el Premio Dentista del Año 2023 por su extraordinaria labor al frente de la Comisión de Especialidades. ¿Cómo se siente al haber sido reconocido por este trabajo y cómo está siendo la travesía para que esta demanda sectorial, por fin, sea una realidad?
—Pues me siento muy feliz de haber sido galardonado con este premio y muy honrado con el Consejo General de Dentistas por haber pensado en mí para el mismo. El trabajo al frente de la Comisión de Especialidades está siendo bastante complejo y no debemos olvidar que aún nos queda un tramo importante del viaje. A la vez, este desempeño es muy ilusionante ya que, pese a las enormes dificultades para que la Odontología tenga especialidades, en este país somos conscientes de que la única manera de alcanzar ésta y otras metas para permitir el crecimiento de nuestra profesión es el trabajo intenso, arduo y honesto.
Ha sido muy complejo poner de acuerdo a toda la profesión en un formato de especialidad viable y asumible por todos los actores, pero aún queda hacer entender a nuestros políticos, que todo lo ven desde el prisma de la sanidad pública, que más allá de ésta, existen profesiones poco representadas en ella; sanitarios, que son también ciudadanos, que tienen el derecho y merecen la oportunidad de que su profesión se desarrolle, con independencia de que el sector público le acompañe en menor o mayor medida.
—Como actor clave en este proceso, ¿cuándo vislumbra que las especialidades oficiales podrán ser una realidad en España?
—Ahora mismo se cumplen todos los requisitos para que se den pasos y se avance en la creación de normativas específicas que creen las comisiones de las distintas especialidades de la Odontología y que se pueda empezar a trabajar, se indiquen las normas que deben cumplir los centros de formación para que se puedan ir acreditando y se puedan poner en
«Sólo el 30% de los egresados en los últimos cuatro años se ha colegiado en nuestro país. El otro 70% o no ejerce la profesión o la ejerce fuera de nuestras fronteras»
marcha los criterios de selección de los futuros especialistas a nivel nacional.
Los proyectos y propuestas que están sobre la mesa demuestran que la profesión está madura y capacitada para ayudar en el desarrollo de sus especialidades. Los políticos deben dar un paso adelante y apoyar, sin ambages, este camino.
—¿Cree que el reconocimiento de las especialidades pondrá algo de orden en el panorama formativo actual, quizás saturado de un exceso de oferta, y que servirá también para subir la calidad de los programas?
—El reconocimiento de las especialidades pondrá cierto orden en la formación postgraduada de algunas disciplinas odontológicas, pero, sobre todo, lo que se busca es equipararnos al desarrollo normativo de la profesión en toda Europa. Hay un dato fundamental, que se recoge en los últimos informes del Consejo General de Dentistas de España, que indica que sólo el 30% de los egresados en los últimos cuatro años se ha colegiado en nuestro país. El otro 70% o no ejerce la profesión o la ejerce fuera de nuestras fronteras.
En cuanto a la oferta de formación postgraduada, evidentemente, se va a reordenar y reenfocar, abandonando los espacios reservados para la formación mediante especialidades acreditadas por el Ministerio de Sanidad y se va a asentar en otras áreas no acreditadas, que también son necesarias para el desarrollo de la Odontología. No hay que demonizar los postgrados.

«En los últimos años también se ha producido una actualización bastante importante en el conocimiento del cáncer oral y de la patología oral del punto de vista de la genética», destaca el Dr. Daniel Torres.
«El reconocimiento de las especialidades pondrá cierto orden en la formación postgraduada de algunas disciplinas odontológicas, pero, sobre todo, lo que se busca es equipararnos al desarrollo normativo de la profesión en toda Europa»
Si ha existido una gran oferta (que seguirá existiendo) de postgrado es sencillamente porque eran (y serán) necesarios. Gracias a ellos, la profesión ha podido mantenerse al día pese a la no existencia de especialidades, y es lógico que haya esta plétora de postgrados,
cuando llevamos más de 40 años de retraso en el desarrollo de éstas.
Habría que hablar del binomio exceso de oferta de cursos de postgrado-déficit de formación en especialidades acreditadas. Estoy seguro que cuando existan estas especialidades y estemos el mismo nivel que otros países de nuestro entorno, la formación postgraduada no especializada se reorganizará para seguir dando un servicio a nuestra profesión, porque es necesaria. También, las especialidades aportarán un pilar fundamental en la formación oficial postgraduada, además de conseguir que nuestra profesión y nuestros profesionales estén al mismo nivel de acreditación oficial que los compañeros de otros países europeos.
—Es usted todo un referente en Cirugía Bucal, tanto en el ámbito académico como clínico. Además, es el actual presidente de la Sociedad Española de Cirugía Bucal (SECIB) ¿Qué momentos considera claves en su carrera profesional?
—No me considero que esté todavía en una situación en la cual deba volver la vista atrás y plantearme momentos clave de mi carrera; sin embargo, sí que hay momentos importantes en ella: la consecución de una beca FPI, que me abrió las puertas de la universidad; mi estancia de la Universidad de París V, que me enseñó una forma de ver la universidad distinta a la española; la lectura de mi tesis doctoral con premio extraordinario; las cinco o seis oposiciones (si contamos la habilitación) que he pasado; tener la confianza de mis compañeros dentro de la Cirugía Bucal para ser presidente de la SECIB o del Consejo de Dentistas para presidir la Comisión de Especialidades... Todos estos momentos son importantes, pero sigo teniendo ilusión por mirar hacia adelante y pensar que lo mejor está por llegar.
—¿A quién/es agradecer en este camino? —A todos aquellos que me han ayudado e, incluso, a los que no, porque sin ellos, a lo mejor la historia también sería distinta. Serían innumerables las personas a las cuales tendría
que citar, pero sí es cierto que hay algunas clave: mi mentor, José Luis Gutiérrez; mis amigos y compañeros dentro de la Universidad de Sevilla, con especial mención a Guillermo Machuca, Juanjo Segura y Antonio Chaparro; de otras universidades, como Raquel Osorio, Manuel Toledano, Javier Gil, José Vicente Bagán o Cosme Gay Escoda; y, por supuesto, del ámbito familiar, a mis padres, mis hermanos, mi mujer M a Ángeles, y mis hijas Marian y Belén.
—Su extensa trayectoria profesional le ha permitido ser testigo de los avances que se han ido produciendo en Cirugía Bucal. A su juicio, ¿cuáles han sido los más reveladores? Y de cara al futuro, ¿qué avances o líneas de investigación resultan más prometedores?
—Los aspectos más reveladores que he podido ver han sido: el desarrollo de las técnicas de regeneración ósea y el uso de elementos biomoduladores como el PRP en sus múltiples evoluciones; el desarrollo de nuevos materiales en la regeneración ósea y en biomateriales; el desarrollo de las técnicas implantológicas al servicio de la rehabilitación oral al máximo nivel; el resurgir de los implantes subperiósticos o los implantes cigomáticos, etc. En los últimos
años también se ha producido una actualización bastante importante en el conocimiento del cáncer oral y de la patología oral del punto de vista de la genética.
En cuanto al futuro, tendremos que estar atentos a las mejoras tecnológicas y a la expansión de la inteligencia artificial y de la realidad virtual. La cirugía robótica también abrirá nuevas puertas a nuestra profesión.
—Precisamente, usted ha liderado importantes estudios y proyectos de investigación en Odontología. ¿Podría compartir algún proyecto reciente que considere que podría tener un impacto significativo en la práctica clínica?
—Actualmente acabamos de finalizar un estudio en el ámbito de la cátedra Alejandro Padrós de la Universidad de Sevilla, avalada por Klockner y en colaboración con los laboratorios Lacer, en relación a la potencialidad de las nuevas formulaciones de clorhexidina en la prevención y el tratamiento como coadyuvante de las enfermedades periimplantarias. Hemos encontrado resultados muy interesantes, que van a añadir más evidencias para incorporar estas nuevas formulaciones en el tratamiento

y prevención de estas enfermedades periimplantarias, así como adecuar estas indicaciones a la superficie del implante que estemos utilizando.
—Por otro lado, antes mencionaba que en el futuro deberemos estar atentos a la expansión de la inteligencia artificial y de la realidad virtual. ¿Cómo ve la incorporación de estas nuevas tecnologías en la formación y práctica odontológica? ¿Cuál cree que será su impacto en la Cirugía Bucal?
—La inteligencia artificial en Odontología se está incorporando cada vez a más ámbitos, fundamentalmente al diagnóstico (ortodóncico, quirúrgico, ortognático, etc.;) o al diseño de
sonrisas. Cada vez más los ordenadores son capaces de interpretar nuestras pruebas diagnósticas y darles una solución terapéutica al caso, al menos a nivel de planificación coherente con nuestros criterios terapéuticos. La innovación y la realidad virtual nos ayudan a llevar estas planificaciones a la realidad del paciente, haciendo cirugías más estandarizadas y acordes al plan de tratamiento.
La Odontología de dentro de 10 años no se va a parecer en nada a la de ahora, aunque es lógico. El tratamiento actual difiere bastante de los que se hacían a principios de siglo. Hay que verlo con un motivo de orgullo, signo de una profesión viva en continuo desarrollo y con el paciente en el centro de nuestra profesión. ●
En el ámbito académico, como catedrático de la Universidad de Sevilla, el Dr. Daniel Torres piensa que «las nuevas generaciones de odontólogos están formadas razonablemente bien, lo cual no evita que, una vez acabada la formación de Grado, no haya un margen importantísimo de formación, como siempre ha habido en todas las profesiones sanitarias. Es fundamental, por tanto, que se oficialicen y se organicen parte de dichos estudios postgraduados, acreditándose a nivel ministerial, para equipararnos a nuestro entorno europeo».
Por otro lado, detalla, «creo realmente que las nuevas generaciones de estudiantes universitarios, en general, han perdido bastante de su interés crítico por conocer la realidad en el sentido más amplio de la palabra, y eso también lastra su interés en ahondar y escarbar hasta la saciedad en el ámbito en el cual van a desarrollar su vida profesional. Como digo, es una sensación personal, pero que creo que compartimos muchos docentes universitarios de distintas áreas. Es un problema sobre el que tendremos que reflexionar como sociedad porque no es un buen camino para nuestro desarrollo en el futuro».
Sobre los aspectos de la formación universitaria que cree que necesitan ser fortalecidos para enfrentar los retos futuros, el Dr. Daniel Torres es claro: «En mi opinión, en la actualidad, la formación universitaria está bastante bien orientada para formar a los odontólogos. Sin embargo, siempre hay que luchar y pedir que, en la formación de los futuros odontólogos, se refuercen tres ámbitos fundamentales: que los profesores de áreas estomatológicas actualicen de forma eficaz los conocimientos de sus disciplinas; mantener y aumentar la exigencia de los conocimientos médicos y básicos (ya que formarán formar la base del desarrollo odontológico del profesional); y, finalmente, aumentar las horas de trabajo clínico supervisado con pacientes, porque va a dar soltura y seguridad al futuro dentista».





















NUEVO SABOR JUNIOR menta suave 1.000 ppm F
Tecnología bi-fluoré
Fórmulas únicas • Doble Acción










Hasta 6 años

A partir de 6 años
ppm F
En los últimos años, el bruxismo ha experimentado un cambio de paradigma en aspectos relacionados tanto con la definición del concepto en sí como con la clasificación, la etiología, la fisiopatología y la forma de manejarlo. Los profesionales deben enfocarse en las consecuencias clínicas y las causas subyacentes para un tratamiento efectivo, evitando la sobreestimación de su prevalencia y asociación con otros factores.
«El bruxismo no es una enfermedad per se, es un comportamiento (actividad) muscular». Así lo ponen de manifiesto los Dres.
Juan Manuel Prieto Setién y Rosana Cid Verdejo, presidente y secretaria de la Sociedad Española de Disfunción Craneomandibular y Dolor Orofacial (SEDCYDO), respectivamente, quienes detallan
que «existen dos manifestaciones circadianas distintas. Por un lado, el bruxismo del sueño (BS), el cual es involuntario y se genera a través de una serie de mecanismos originados en el sistema nervioso central, relacionados con determinados neurotransmisores y algunos eventos del sueño como los microdespertares electroencefalográficos, entre otros. Por otro lado, el bruxismo

Freepik/Prostooleh.

«Hay que tener en cuenta que el bruxismo es una actividad muscular fluctuante y no siempre está presente. Puede tener periodos de exacerbación y no siempre tiene consecuencias clínicas»
masticatorios, aunque no exista contacto dentario, también forma parte del comportamiento bruxista. Lo importante, tanto en el BS como en el BV, es valorar las consecuencias clínicas que presente esa actividad y las causas primarias que puedan estar detrás. Es decir, «si una persona presenta una hiperactividad muscular compatible con el BS o BV, pero no conlleva consecuencias clínicas negativas, como desgaste dental, fracturas dentales, dolor musculoesquelético o cefaleas asociadas, no es necesario tratarlo. Lo que manejamos son esas posibles consecuencias clínicas, pero no podemos controlar del todo la ocurrencia de esa actividad muscular», cuentan los Dres. Prieto Setién y Cid Verdejo.
Pero, ¿cuáles son las causas que pueden estar detrás del bruxismo? Los Dres. Prieto Setién y Cid Verdejo responden: «Contamos con trastornos como la apnea obstructiva del sueño (AOS), el reflujo gastroesofágico (ERGE), determinadas enfermedades neurológicas, el consumo de sustancias o de fármacos que puedan aumentar esa actividad o factores psicosociales implicados en un aumento de la misma». Por ello, especifican, «nuestra tarea como clínicos es realizar una correcta anamnesis y exploración en busca de estas entidades subyacentes, ya que el bruxismo puede ser un signo de algo más».
de vigilia (BV), que se trata de una actividad que tiene mayor relación con los factores psicosociales como el estrés o la ansiedad». Además, la tensión muscular sostenida o un empuje repetitivo de los músculos
¿Y en qué punto estamos? ¿Es cierto que han aumentado los casos de bruxismo en España? Hoy por hoy, los valores de prevalencia que se manejan no son tan altos como se
piensa. Los datos del BS se sitúan en el 8% en adultos, el 10% para BS en niños y entre el 10-25% para el BV en general. En concreto, el BS disminuye con la edad hasta situarse en un 3% a partir de la sexta década de vida y no hay diferencia entre sexos. Sin embargo, el BV aumenta con la edad y es más prevalente en mujeres. Asimismo, es importante tener en cuenta que, en un tercio de los pacientes, pueden coexistir los dos tipos de bruxismo.
«Cuando encontramos datos de prevalencia disparados es porque provienen de estudios que no separan los tipos de bruxismo o donde no se han realizado diagnósticos fiables, sobreestimando
la prevalencia del mismo. Ocurre, por tanto, que existe también una tendencia a sobreestimar su asociación con otros factores y a realizar relaciones de causalidad erróneas. Por ejemplo, padecer dolor orofacial matutino no siempre es causa del BS, ya que existen otros muchos factores que pueden generarlo», comentan los Dres. Prieto Setién y Cid Verdejo.
En base a estos datos, ¿qué necesita revisarse? ¿En qué situación nos encontramos? «Necesita revisarse el concepto dicotómico que aún existe del bruxismo, expresado como «bruxismo sí» o «bruxismo no», según determinados signos o síntomas que el profesional
Existe un consenso internacional sobre el concepto de bruxismo, las formas de evaluación que cuentan con menor o mayor certeza diagnóstica y todos los factores o comorbilidades asociadas en los que hay que indagar.
En este sentido, «el diagnóstico definitivo del bruxismo es posible a través de su evaluación instrumental con polisomnografía o electromiografía. Los cuestionarios autoreferidos junto con la exploración clínica son las herramientas más accesibles para el clínico, pero deben evaluarse sumando una serie de signos y síntomas presentes, habiendo descartado otros factores y patologías asociadas», cuentan los Dres. Prieto Setién y Cid Verdejo.
Por este motivo, el enfoque transversal es totalmente necesario. «El odontólogo normalmente es el primero en hacer una evaluación, pero el manejo posterior pasa por distintos profesionales como el fisioterapeuta, el psicólogo, el neurólogo, el neurofisiólogo, el neumólogo, el otorrinolaringólogo, el digestivo o el logopeda», detallan los Dres. Prieto Setién y Cid Verdejo.
«Este enfoque multidisciplinar está orientado a manejar las posibles consecuencias clínicas como dolor musculoesquelético, fracturas dentarias, desgaste dentario o sensibilidad dental, entre otros. Y, por otra parte, a diagnosticar y manejar patologías asociadas que puedan estar presentes, como la apnea obstructiva del sueño, el reflujo gastroesofágico, enfermedades neurológicas, otros trastornos del sueño como el insomnio o el síndrome de piernas inquietas o el estrés, ansiedad u otros factores psicoemocionales que puedan estar asociados», comentan.


«El odontólogo normalmente es el primero en hacer una evaluación del bruxismo, pero el manejo posterior pasa por distintos profesionales»
objetiva en el paciente (como desgaste dentario o dolor muscular). En realidad, hay que tener en cuenta que el bruxismo es una
actividad muscular fluctuante y que no siempre está presente. Puede tener periodos de exacerbación y no siempre tiene consecuencias clínicas», manifiestan.
Por este motivo, cuentan, «es primordial determinar si la actividad está presente en el momento en que consulta el paciente. Por tanto, debemos estudiar esa actividad como un continuo y hacer un mayor hincapié en la anamnesis (qué refiere el paciente) y no fijarnos de manera aislada en signos clásicos como el desgaste dentario, ya que no es fiable para diagnosticar bruxismo, pues existen diferentes tipos de desgaste: mecánico (atrición y abrasión) o químico (erosión) y no siempre son sinónimo de bruxismo. Asimismo, el dolor musculoesquelético es multifactorial y sólo el bruxismo no es el causante de ello en la mayoría de los casos».
EL BRUXISMO
Así, para evitar errores al tratar el bruxismo, «los profesionales deben tener presente que el bruxismo puede comportarse también como un factor protector frente a otras entidades, generando a veces una permeabilización de la vía aérea superior cuando hay algún trastorno respiratorio del sueño presente o ejerciendo de efecto tampón aumentando la salivación en presencia de reflujo gastroesofágico», explican los Dres. Prieto Setién y Cid Verdejo.
«También es capital pensar con sentido común, si estamos colocando una férula de descarga durante la noche a un paciente que tiene BV, no estamos haciendo nada. Ese paciente quizás necesite un abordaje a través de terapias cognitivo

• Tallado y extracción seguros bajo luz UV-A
• Aplicación precisa con una fluidez perfecta
• Fotopolimerización a través de un modelo transparente
• Estable y resistente a la abrasión durante todo el tiempo de uso
• Estética agradable los tonos del diente




conductuales, reeducación de hábitos (biofeedback) u otros», añaden.
Por otra parte, especifican los Dres. Prieto Setién y Cid Verdejo, «es responsabilidad de todos los clínicos que manejan bruxismo, hacerlo dentro de los límites de la medicina basada en la evidencia, sabiendo que los tratamientos oclusales como tallados selectivos u ortodoncia no están indicados y que la aplicación de fármacos como la toxina botulínica (TB) no es una primera línea de tratamiento aceptada. Dado que el bruxismo se genera en el sistema nervioso central, y que la TB en su intervención a través de la vía motora ejerce su efecto en el sistema nervioso periférico, no existe indicación para su aplicación. Digamos que con la TB hacemos que el músculo tenga menos fuerza, pero la actividad muscular seguirá existiendo. Una vez que se generen nuevos receptores y el efecto de la toxina cese, volvemos al punto de partida».
«Además, muchas veces se hiperactivan otros músculos de manera compensatoria (por ejemplo, si aplicamos en maseteros y no en temporales) y se produce un aumento de la cefalea tensional asociada a un trastorno temporomandibular que pueda presentar el paciente. Y no son despreciables los últimos datos al respecto de la posible reabsorción ósea que se produce tras la aplicación repetida de TB. Al final tenemos a un paciente que pierde su capacidad para masticar determinados alimentos y sigue con el problema de base. Tampoco existe en la ficha técnica del producto sanitario esta indicación, por lo que su uso es fuera de ficha técnica y hay que justificarlo muy bien en caso de que se aplique», apostillan. ●
Los tratamientos para el bruxismo pueden pasar por dispositivos intraorales como órtosis (férula oclusal) o dispositivos de avance mandibular (DAM), si hay AOS asociada y está indicado. También fisioterapia para el manejo del dolor musculoesquelético, infiltraciones de determinados fármacos o productos sanitarios (anestésicos locales, ozono médico) enfocados a tratar el dolor muscular.
Otras opciones incluyen la terapia cognitiva conductual para el cambio de hábitos (biofeedback); psicoterapia para el manejo del estrés y la ansiedad; cambios en dietas que contengan alimentos que pueden generar una mayor activación del sistema dopaminérgico (como alimentos con alto contenido de azúcar refinado); la disminución del uso de pantallas antes de dormir; la retirada o reducción de sustancias recreativas que estén aumentando esa actividad muscular; o la valoración de cambio de determinados fármacos (como, por ejemplo, inhibidores selectivos de la recaptación de serotonina) que, a veces, se utilizan para cuadros depresivos o de dolor, siempre previa interconsulta con el facultativo que los haya prescrito, etc. «Lo importante, en este caso, es detectar si la actividad bruxista presente es inocua (sin consecuencias clínicas negativas ni otras causas asociadas), si tiene repercusiones negativas en nuestro paciente o si, por el contrario, tiene un rol protector, y actuar en consecuencia. También hay que diferenciar si estamos ante un BS, BV o ambos, para dirigir el manejo de manera acertada, así como derivar al paciente hacia el profesional adecuado ante la sospecha de otros trastornos», cuentan los Dres. Prieto Setién y Cid Verdejo.














3x



15



4x
PRECISIÓN FLUJOS DE TRABAJO RENDIMIENTO

Experimenta una precisión sin precedentes con la impresora SprintRay Pro 2, diseñada para ser la impresora 3D más precisa en la odontología. Disfruta de detalles ultrafinos con una resolución de 35 µm y cero distorsión, combinados con una amplia zona de impresión. Mejorada con perfiles de resina refactorizados y con la tecnología Optical Panel, la SprintRay Pro 2 ofrece resultados excelentes para más de 15 aplicaciones dentales.
¿Estás preparado para empezar a explorarla? Escanea este código QR para concertar una demostración de impresión 3D de SprintRay.





Toma de impresiones digitales y manejo de la información (I)
Ya estamos de vuelta de las vacaciones de verano. Seguramente, con las pilas cargadas y con muchas ganas de seguir aprendiendo y aplicando la Odontología digital en nuestro día a día.
En la primera parte de nuestro artículo (acceder al QR) discutimos las diferencias entre las conexiones internas y externas en las restauraciones sobre implantes, sus ventajas e inconvenientes, y cómo afectan a la estabilidad y longevidad del tratamiento. En esta segunda parte nos centraremos en la toma de impresiones digitales y el manejo de la información obtenida para asegurar resultados finales de calidad de manera sencilla y efectiva. Abordaremos los procesos de toma de impresiones con nuestros dispositivos intraorales y los elementos necesarios para llevarlo a cabo para, posteriormente, detallar qué hacer con toda la información recabada, cómo procesarla, qué
«La toma de impresiones digitales ha revolucionado la Odontología, ofreciendo una precisión y comodidad sin precedentes tanto para el profesional como para el paciente»
enviar al laboratorio, así como los pasos intermedios que debemos realizar para obtener resultados finales de calidad de una manera sencilla y dirigida.
La toma de impresiones digitales ha revolucionado la Odontología, ofreciendo una precisión y comodidad sin precedentes tanto para el profesional como para el paciente. Para realizar este proceso de manera efectiva, es fundamental contar con los dispositivos intraorales adecuados y seguir un protocolo riguroso.
En números anteriores hablamos de los procesos de toma de impresión digital y la relevancia de los scanbodies o pilares digitales de impresión. Ahora realizaremos un breve resumen para aquellos que se incorporan a la lectura de esta serie de artículos a modo de recordatorio.
Los escáneres intraorales son herramientas esenciales para la toma de impresiones digitales. Estos

Director médico de Estudio Dental Majadahonda. Licenciado en Odontología, Universidad Complutense de Madrid. Máster en implantología, Periodoncia y Rehabilitación Oral, New York University. Senior fellow y speaker ITI (International Team for Implantology). Anthogyr international speaker.
CEO IDE Immersive Dental Experiences.
«Lo importante no es adquirir un escáner para digitalizar, sino integrarlo cuidadosamente
en los procesos de digitalización en nuestra práctica diaria»
dispositivos permiten capturar una imagen tridimensional de la boca del paciente, lo que proporciona una base precisa para diseñar y fabricar restauraciones dentales, centrándonos fundamentalmente en los escáneres ópticos que utilizan luz para capturar imágenes precisas de la cavidad oral, siendo muy rápidos y ofreciendo excelentes resultados.
Debemos tener en cuenta que no todos los escáneres funcionan de la misma manera ni poseen el mismo grado de precisión y exactitud. Por ello, es fundamental que el clínico sea plenamente consciente de estas diferencias al embarcarse en la toma de impresiones digitales. Es imperativo basarnos en la evidencia científica y en estudios que respalden nuestros procedimientos clínicos, dejando de lado las influencias de las redes sociales, donde a menudo se omiten detalles que son de enorme relevancia clínica.
No podemos comenzar a escanear pacientes sin una planificación adecuada, sin haber consultado con nuestro laboratorio y sin establecer protocolos y flujos de trabajo validados, solo por el hecho de contar con un escáner. Lo importante no es simplemente adquirir un escáner para digitalizar, sino que, una vez que disponemos




IOS arcada superior test. Imagen: cedida por el Dr. Giuliano Fragola.





































«No podemos comenzar a escanear pacientes sin una planificación adecuada, sin haber consultado con nuestro laboratorio y sin establecer protocolos y flujos de trabajo validados»
rehabilitación completa, parcial o unitaria, ni si es maxilar, mandibular o bimaxilar. Cada caso presenta sus particularidades y aspectos específicos a considerar. No es tan sencillo como colocar un pilar de escaneado y pasar el lector óptico; cada situación requiere su propio protocolo de registro y validación.
de esta herramienta, debemos integrar cuidadosamente los procesos de digitalización en nuestra práctica diaria. Esto nos permitirá obtener resultados predecibles y reproducibles que, en última instancia, mejorarán la calidad del tratamiento que ofrecemos a nuestros pacientes. La verdadera ventaja de la digitalización radica en su capacidad para elevar los estándares de atención y proporcionar resultados clínicos. Debemos recordar siempre que lo que no vemos, el escáner no lo registra. Esta ha sido siempre mi premisa. Ver los detalles en una pantalla magnificada me ha obligado a optimizar mis tomas de registros. Debemos tener una alta capacidad autocrítica y ser conscientes de este proceso de autoexigencia para obtener una mejor calidad en las restauraciones, ya sean sobre dientes o implantes.
Para obtener registros digitales sobre implantes, es fundamental reconocer que no es lo mismo una
He tenido experiencia con impresiones digitales en las que los puntos de contacto en la restauración son inexistentes, están altos, o el puente no ajusta, especialmente en arcadas completas. Esta ha sido mi realidad diaria durante muchos años, involucrando ensayo y error, la aplicación de nuevas técnicas y la validación de estos procesos. No debemos dejarnos llevar por promesas fáciles. ¿Es posible? Sí, pero se deben seguir unos pasos rigurosos:
1. Asegurarse de que el dispositivo IOS esté calibrado y que las puntas del escáner estén en perfecto estado.
2. Conocer el protocolo de escaneado del dispositivo y la versión del software utilizado, ya que pueden variar.
3. Asegurarse de que los scanbodies son adecuados y están en perfecto estado. La reutilización de elementos de un solo uso puede provocar grandes errores en el resultado final.
4. Ser consciente de las limitaciones de nuestros dispositivos. A veces, no pueden registrar con precisión lo que queremos y, aunque la imagen en la pantalla del ordenador parezca correcta, ¿es esa posición 100% precisa? ¿podemos confiar sin lugar a duda? ¿cómo lo verificamos? ¿podemos aplicar protocolos de verificación de manera rutinaria? ¿quién es responsable si la estructura

Nuevo pilar transepitelial estrecho diseñado para la lucha contra la periimplantitis gracias a la mejora del espacio biológico supracrestal.
PLATAFORMA
REDUCIDA 3,8 mm.
DISEÑO ESTRECHO
Mejora la cantidad de fibras de colágeno, incrementando la vascuralización del sellado mucoso.


GEOMETRÍA EXTERNA
Convergente hacia coronal.
Favorece la migración en esa dirección de los miofibroblastos presentes en el tejido conectivo. 1,5 2,5 3,5 4,5 5,5 6,5
BIOGOLD
Recubrimiento de superficie biocompatible.


Titanio 6AL-4V. Grado 5. (Alta resistencia).

Dispone de librería para Ti-base y pilar provisional.
Disponibles en diferentes Alturas desde 1,5mm. hasta 6,5mm. para:
STRAUMANN® BONE LEVEL® Interna NC 3,3
BIOHORIZONS® TAPERED® Hexágono Interno 3.0 I 3,5
MIS SEVEN® Hexágono Interno NP3,30 I SP 3,75 /4,20
NOBEL BIOCARE® NOBELACTIVE® Interna Activa NP 3,5/3,75

OSSTEM® TS/ HIOSSEN® ET Cónica Interna MINI
BIOMET 3i® CERTAIN® Hexágono Interno “Click” NP3,4
BTI® Interno Tetralobular Interno NP3,5
ZIMMER® SCREW-VENT® Hexágono Interno NP 3,5
ASTRA® TECH OSSEOSPEED® Cónica Interna Yellow 3,0 I Aqua 3,5/4,0





«Debemos ser conscientes de que, para confeccionar trabajos sobre estructuras metálicas posteriormente ceramizadas, siempre será necesario un modelo físico»
no ajusta o se fractura con el tiempo debido a la tensión?
Muchas preguntas y pocas respuestas concretas. Si nos planteamos todas estas y muchas más preguntas, estamos en el camino correcto. No es desconfianza, sino el deseo de obtener resultados predecibles a largo plazo.
A continuación, expongo una serie de recomendaciones clínicas para la toma de impresiones digitales sobre implantes, teniendo en cuenta lo mencionado anteriormente, pero son opiniones basadas en mi experiencia y en base a tests que hemos llevado a cabo con una gran cantidad y variedad de ficheros STL de casos clínicos y validaciones dobles analógico/digital con muchos dispositivos IOS y escáner de laboratorio. Lógicamente, cada uno puede proceder como considere oportuno, lo importante es ser conocedor de las limitaciones y buscar soluciones.
1. Escanear arcadas completas, incluido el paladar en la arcada superior, puede ser útil para la fase de diseño 3D (CAD - Computer Aided Design).
2. Evitar realizar múltiples pasadas con el escáner sobre la misma zona, ya que aumenta las distorsiones. Lo que ya se ha registrado bien no necesita volver a ser registrado.
3. Asegurarse de que todas las zonas de contacto con dientes adyacentes están perfectamente registradas. Lo que el escáner no lee lo deja vacío, y el software de procesamiento de imagen lo rellena, lo que puede resultar en distorsiones y falta de puntos de contacto o contactos muy fuertes.
4. Post-procesar siempre el escaneado y revisar que no existan zonas defectuosas o distorsionadas.
5. Al tomar registros de oclusión digitales, confirmar en boca que lo que muestra el ordenador es la realidad, ya que este sigue siendo un punto débil de los escaneos, a mi juicio. ¡Nos vemos en el siguiente artículo para seguir hablando de toma de impresiones digitales y manejo de la información! ●
La Real Academia de Medicina del País
Vasco – Euskal Herriko Medikuntzaren Errege Akademia (RAMPV-EHMEA) ha nombrado Académico de Número al Dr. Eduardo Anitua Aldecoa, fundador y director científico de BTI Biotechnology, en una ceremonia de ingreso que tuvo lugar el miércoles 18 de septiembre en el Museo de Bellas Artes de Vitoria- Gasteiz.
En su discurso de ingreso, titulado «Desarrollo y aplicación terapéutica del plasma rico en factores de crecimiento (PRGF) en Medicina regenerativa», el Dr. Anitua destacó los avances en el uso del PRGF en la Medicina. El evento, organizado en colaboración con el Colegio de Médicos de Álava, incluyó una laudatio a cargo del profesor Félix M. Goñi, así como la imposición de la medalla y la entrega del diploma acreditativo, realizados por el Dr. Javier Aranceta, presidente de la RAMPV.
Entre los asistentes al acto se encontraban la alcaldesa de Vitoria-Gasteiz, Maider Etxebarria;

el diputado general de Álava, Ramiro González, así como diversas autoridades institucionales, académicas y sanitarias, familiares y amigos del homenajeado.
El Dr. Eduardo Anitua expresó su agradecimiento con las siguientes palabras: «Agradezco enormemente a esta distinguida institución por su confianza y reconocimiento, así como a mis colegas y mentores, quienes han sido una constante fuente de inspiración a lo largo de mi carrera. Este reconocimiento refuerza mi compromiso con la investigación en medicina regenerativa, con el objetivo de seguir desarrollando tecnologías biomédicas que mejoren la calidad de vida de los pacientes». ●

La delegación española del Consejo General de Dentistas, encabezada por el presidente, el Dr. Óscar Castro Reino, participó en una nueva edición del Congreso Mundial de la Federación Dental Internacional (FDI), celebrado del 12 al 15 de septiembre en Estambul, y presentó ante su Asamblea General la «Guía del Uso de los Antimicrobianos en Odontología».
La guía, supervisada por el Plan Nacional frente a la Resistencia a los Antibióticos (PRAN) del Ministerio de Sanidad, fue fruto de la colaboración de seis sociedades científicas españolas: AEDE, SECIB, SECOMCyC, SEMO, SEOENE y SEPA. Durante el congreso, el Dr. Óscar Castro se reunió con representantes de asociaciones dentales de varios países latinoamericanos interesados en el material, que será cedido por el Consejo de Dentistas con el objetivo de fomentar el uso adecuado de

De izq. a dcha.; Greg Chadwick, presidente de la FDI, Óscar Castro, presidente del Consejo; y Nikolai Sharkov, presidente electo de la FDI. Imagen: cedida por el Consejo.
antimicrobianos a nivel internacional. «El balance del congreso es muy positivo. Hemos analizado cuestiones de plena actualidad en Odontología, como el uso de la inteligencia artificial, la salud oral en pacientes con necesidades especiales o la ética en el ejercicio profesional», afirmó el Dr. Castro. «El papel de la delegación española ha sido muy relevante, fundamentalmente por nuestra campaña de uso adecuado de antibióticos, que ha sido acogida con entusiasmo y que cederemos encantados a las asociaciones dentales latinoamericanas que nos lo han solicitado. Esta campaña va a ser fundamental para mejorar los tratamientos antimicrobianos prescritos en consulta, evitando resistencias», apostilló. ●
LA CONFIANZA DE LOS PACIENTES
El Consejo General de Dentistas recuerda a todos los profesionales que ejercen la Odontología «la importancia de cumplir rigurosamente con las normativas vigentes, especialmente en lo que respecta a la protección de datos de los pacientes y la ética profesional». El presidente del Consejo, el Dr. Óscar Castro Reino, ha explicado que «en el ejercicio de nuestra profesión, es fundamental recordar que la única base de legitimación que permite la divulgación de datos personales de los pacientes es su consentimiento expreso». En esta línea, cabe destacar que el Reglamento General de Protección de Datos establece, además, la obligación de los profesionales no solo de cumplir con la normativa, sino de poder demostrar su cumplimiento de manera proactiva.

En su apuesta por la formación continuada de los profesionales del sector, Osteógenos presenta, para el mes de noviembre en Madrid, dos cursos impartidos por los Dres. Iñaki Gamborena y Abdelsalam Elaskary, líderes mundiales en Implantología y Cirugía Oral.
Con ambos cursos, los asistentes podrán aprender y perfeccionar las últimas técnicas, combinando teoría avanzada, práctica intensiva y una visión estratégica de futuro en Odontología.
«No solo obtendrán conocimientos valiosos y aplicables, sino que también tendrán la posibilidad de interactuar y debatir con estos expertos sobre las últimas tendencias y técnicas», detallan desde Osteógenos.
BIOMATERIALES Y PREDICTIBILIDAD EN IMPLANTES
El 9 de noviembre, el Dr. Iñaki Gamborena ofrecerá un curso intensivo centrado en la efectividad de biomateriales dual phase para
la predictibilidad de implantes y maximizar su estabilidad a largo plazo.
Desde la selección adecuada de materiales hasta la aplicación precisa de técnicas avanzadas, este curso está diseñado para quienes buscan resultados superiores en sus tratamientos de Implantología.
«Además, el Dr. Gamborena compartirá su experiencia práctica y casos clínicos que ilustran cómo llevar la predictibilidad y el éxito de los implantes a un nuevo nivel, asegurando así un aprendizaje profundo y aplicable desde el primer día».
Por su parte, los días 29 y 30 de noviembre tendrá lugar el curso intensivo impartido por el Dr. Abdelsalam Elaskary, enfocado en el novedoso tratamiento «Vestibular Socket Therapy». Esta técnica innovadora permite la colocación de implantes inmediatos en alvéolos que presentan signos de infección activa, por lo que facilita un tiempo de tratamiento más breve, reduciendo el número de intervenciones quirúrgicas a una sola y permitiendo la rehabilitación total del alvéolo. ●
¡INSCRÍBETE AHORA!
Curso del Dr. Gamborena Curso del Dr. Elaskary
EXPERTOS

Los días 20 y 21 de septiembre, Córdoba acogió el III Congreso de Alineadores y Nuevas Tecnologías de la Sociedad Española de Ortodoncia y Ortopedia Dentofacial (SEdO), una cita que reunió a más de un millar de profesionales llegados de dentro y fuera de España, así como a algunos de los mejores ponentes a nivel nacional e internacional.
«Este congreso se ha consolidado como una cita imprescindible para los profesionales de la Ortodoncia interesados en las últimas innovaciones y avances tecnológicos aplicados a este campo en constante crecimiento y evolución», destacaron desde la SEdO.
En este sentido, los participantes tuvieron la oportunidad de asistir a conferencias y talleres que abarcaron desde el uso de alineadores en diferentes tipologías de casos hasta la integración de nuevas tecnologías en los tratamientos ortodóncicos, sin olvidar todo lo que los últimos avances y descubrimientos en la materia ofrecen en el tratamiento de niños y adolescentes.
Entre los ponentes de renombre nacional e internacional que estuvieron presentes destacaron el Dr. Juan Carlos Pérez Varela, presidente de la SEdO, y los Dres. Manuel Román, Ramón Mompell, Esmeralda Herrero, Susana Palma, Arturo Vela, Johnny León, Manuel Poveda, Claudia Pinter, Romina Vignolo, Gilberto Salas, José Menacho y Sonia Presencia, entre otros.
«El III Congreso de Alineadores y Nuevas Tecnologías no solo es un espacio para el aprendizaje y la actualización profesional, sino también una excelente oportunidad para la creación y el fortalecimiento de redes y sinergias entre los profesionales del sector», aseveró el el Dr. Pérez Varela ●
El Consejo General de Dentistas de España, que preside el Dr. Óscar Castro Reino, exige «el reconocimiento y la restitución de las pagas extraordinarias adeudadas a los dentistas (médicos estomatólogos y odontólogos) que ejercen en la sanidad pública».
Actualmente, unos 1.200 dentistas trabajan en el sistema público de salud, asumiendo una elevada presión asistencial que, como señalan desde el Consejo, «no ha hecho más que aumentar en los últimos años debido al incremento de competencias y servicios en diversas comunidades autónomas. Sin embargo, estos profesionales continúan sin recibir las cantidades que les corresponden de las pagas extra, un recorte que afecta gravemente a su situación económica desde hace 14 años».
«Es inadmisible que, a día de hoy, los dentistas de la sanidad pública sigan padeciendo esta discriminación salarial», denuncia el Dr. Castro. «Son profesionales que soportan una enorme presión asistencial y que están desempeñando una labor esencial en nuestro sistema de salud. Resulta injusto que continúen privados de una parte importante de su salario, correspondiente a las pagas extraordinarias que se les recortaron hace más de una década».
El Consejo General de Dentistas recuerda que «el recorte de las pagas extra, que afecta a los dentistas al igual que a otros colectivos sanitarios, se remonta a 2010, en plena crisis económica. No obstante, a pesar de la mejora de la situación económica en los últimos años, los dentistas no han recuperado aún ese dinero, que legalmente les corresponde». ●
Más de 23.000 artículos increíblemente baratos
Productos 3MTM TransbondTM con las mejores condiciones:


Pídalo hoy mismo directamente a



La Federación Dental Internacional (FDI) ha elaborado un informe en el que indica que «las desigualdades de salud bucodental afectan desproporcionalmente a los países más pobres y a los miembros vulnerables de la sociedad». Con este dato, el informe resalta la urgencia de integrar la salud bucodental en los sistemas de salud y la necesidad de que la industria dental colabore activamente para reducir estas desigualdades antes de 2030.
El informe, titulado «Advocacy in Action: Vision 2030» y desarrollado por la FDI, busca impulsar la colaboración entre el sector privado y el público para alcanzar la cobertura universal en salud bucodental para el año 2030.
Éste, además, surge en un momento crucial, ya que las enfermedades bucodentales, como la caries dental, la periodontitis y el cáncer oral, no solo son prevalentes, sino que también generan un impacto significativo en la salud general y en la calidad de vida de millones de personas.
Según los últimos datos de la Organización Mundial de la Salud (OMS), « las enfermedades orales afectan a aproximadamente 3,5 mil millones de personas cada año, sobre todo entre los grupos de población desfavorecidos y marginados». Asimismo, los datos de la OMS señalan que «el número estimado de casos de enfermedades orales a nivel mundial es aproximadamente mil millones más alto que las patologías mencionadas anteriormente».
En este sentido, el informe destaca el papel
de la industria dental en la mejora de la salud bucodental a nivel global, que abarca desde la fabricación de productos esenciales hasta la implementación de tecnologías innovadoras que mejoren el acceso y la calidad de la atención. El objetivo de este informe es explicar cómo la industria, a través de colaboraciones con diversas partes interesadas, puede contribuir de manera efectiva a acelerar la provisión de una salud bucodental de calidad para todos. A raíz de esto, se presentan soluciones para motivar a los actores clave de la industria y el sector público, además de ofrecer ejemplos de liderazgo en la industria en su apoyo a la mejora de la salud bucodental global.
Este recurso también señala que «para maximizar el impacto, la industria debe trabajar de la mano con gobiernos y otras partes interesadas para reducir las desigualdades en salud bucodental a nivel global, garantizar la asequibilidad de los servicios y promover la prevención y el autocuidado».
Utilizando el marco de la OMS para fortalecer los sistemas sanitarios, el informe muestra cómo la industria dental puede contribuir a mejorar seis elementos clave con el objetivo de garantizar una salud bucodental óptima y accesible para todos: la prestación de servicios, el desarrollo profesional, la gestión de información, la disponibilidad de productos y tecnologías, el financiamiento, y el liderazgo y la gobernanza en salud bucodental.
Asimismo, el informe resalta los retos significativos que enfrenta la salud bucodental a nivel mundial. Entre los principales desafíos se encuentran la escasez de personal especializado, el limitado acceso a servicios asequibles, y la necesidad urgente de integrar la salud bucodental en los sistemas de atención primaria. ●
Escanea el código QR con tu smartphone para acceder al listado de precios o accede a www.expadent.com/precios




YA DISPONIBLE EXPADENT APP


Hemos mejorado nuestro sistema de gestión, y ahora cualquiera de nuestros clientes podrán realizar los pedidos directamente desde nuestra aplicación, intuitivamente.

También permite hacer un seguimiento total del proceso de fabricación y de envío del pedido realizado. CORONA ZIRCONIO MULTICAPA 49,90 euros …y como siempre con los precios más competitivos del mercado







Los profesores Guillermo Pradíes y Rafael Martínez de Fuentes han sido reelegidos en sus cargos directivos de la Junta Directiva de la European Prosthodontic Association, EPA. Por su parte, el profesor Pradíes también ha sido nombrado presidente del comité de especialistas de la EPA.
La reunión de la junta directiva de la EPA, celebrada el pasado 18 de septiembre en
Bialystok, Polonia, durante el 47o Congreso de la Sociedad, contó con la participación de los Dres. Pradíes y Martínez de Fuentes. El encuentro destacó la relevancia y el prestigio que la Prostodoncia clínica y docente de España ha alcanzado en Europa.
El Dr. Pradíes tomó posesión además, en esta reunión directiva, del cargo de presidente del Comité de Especialistas y el Dr. Martínez de Fuentes revalidó su cargo como miembro del Council de esta Sociedad Europea de Prostodoncia.
El congreso, en el cual El Dr. Pradíes realizó una ponencia y el Prof. Rafael Martínez de Fuentes formó parte de su comité científico, contó también con la presencia de la Dra. Sandra Fernández Villar, miembro de la Junta Directiva de SEPES. Se refuerza así la estrecha relación que mantienen ambas sociedades desde 2015 y, en particular, desde 2022.
En este año, gracias a la implicación del Dr. Pradíes se suscribió el convenio de cooperación científica y formativa por el que todos los socios de SEPES son considerados, asimismo, miembros de la EPA, pudiendo así realizar el examen acreditativo del Título de Especialista en Prótesis. Un título otorgado por la EPA y que tan solo poseen cinco odontólogos españoles, entre ellos los Dres. Guillermo Pradíes y Rafael Martínez de Fuentes, los dos primeros. ●

Euronda Pro System es el sistema de protección total para las clínicas, desarrollado para proteger a los operadores, a los pacientes, el instrumental y el entorno de trabajo. La esterilización es un proceso que se articula en varias fases y el buen resultado depende de la correcta ejecución de cada paso, desde la recogida hasta el almacenamiento. Gracias a la línea Pro System, es posible aplicar un protocolo avanzado, eficaz, eficiente y reproducible en el tiempo que aumente la seguridad y optimice los recursos de la clínica.













































































































































































La Sociedad Española de Geriatría y Gerontología (SEGG) ha aprobado la puesta en marcha de un grupo de trabajo de Salud Bocodental en personas mayores que será coordinado por el Dr. Tomás Hernán Pérez de la Ossa y que tiene como objetivo mejorar la atención bucodental de los mayores y, en consecuencia, su calidad de vida.
Entre las áreas de trabajo destaca la realización de actividades docentes, educativas y de investigación en el campo de la Odontología-Odontogeriatría. También, como explican desde la SEGG, contribuir a conocer y actualizar la situación de la salud bucodental de las personas mayores en España; promover el conocimiento de esta disciplina; promover un abordaje individualizado y adaptado a la situación de cada paciente mayor con patología bucodental; elaborar documentos de consenso, formativos y divulgativos que puedan ser avalados o patrocinados por la

SEGG en lo que al ámbito de la Odontología se refiere; asesoría al resto de profesionales sanitarios y la población geriátrica; formación específica en salud bucodental en Geriatría; y organizar actividades formativas en relación con la Odontología-Odontolgeriatría o fomentar la participación en los foros internacionales ya existentes dedicados a la Odontogeriatría; entre otros aspectos. ●
El Colegio de Fisioterapeutas y el Colegio Oficial
Odontólogos y Estomatólogos de Cataluña han puesto en marcha una campaña para concienciar a los dentistas sobre estrategias de prevención de lesiones musculoesqueléticas para disfrutar de una buena salud corporal. La campaña destaca «la necesidad de que el odontoestomatólogo realice ejercicios de fuerza de manera periódica, ya que esto es clave para mantener una condición física adecuada. Además, para mitigar los efectos de mantener una misma postura constantemente, los vídeos ofrecen una serie de movimientos muy sencillos de estiramientos y cambios de
posición que se pueden hacer entre paciente y paciente para relajar la musculatura y movilizar las articulaciones».
El Dr. German Pareja, presidente del COEC, explica que «los dentistas a menudo trabajan en posturas estáticas e incómodas durante muchas horas, lo que puede provocar problemas musculares y esqueléticos. Una postura adecuada permitirá al dentista trabajar de manera más eficiente durante toda la jornada laboral. Enseñar y concienciar sobre la importancia de la salud postural no sólo beneficia su vida laboral, sino también su salud general y bienestar fuera del trabajo». ●









La Comisión de pacientes con necesidades especiales del Colegio Profesional de Higienistas Dentales de Madrid y la Comisión de Sanidad de la Federación Autismo Madrid han unido esfuerzos para crear el «Documento sobre la salud bucodental de las personas con TEA», una guía clave para mejorar la atención odontológica en este colectivo.
Este documento tiene un doble objetivo: por un lado, saber cuál es el conocimiento que los profesionales de la higiene bucodental tienen sobre las personas con TEA y su manejo, así como la identificación de las principales preocupaciones y necesidades en su ámbito profesional en torno a la atención de las personas con TEA; y, por otro lado, conocer la percepción que tienen las familias de las personas con TEA grado 2 y 3, que requieren apoyos notables o muy notables, sobre su salud bucodental y la atención profesional recibida en este campo.
El grupo de trabajo lo integran: Ahinara Burén Pavón, psicóloga y directora técnica de la Asociación Nuevo Horizonte; Irene León Frade, terapeuta ocupacional de EDAI Madrid; José Luis Cabarcos Dopico, psicólogo de la Fundación AUCAVI; y las higienistas dentales Susana Cruz Vázquez y Elisa Carballido Ferreira.
Los datos que se recogen en este documento ayudan a plantear posibles acciones encaminadas a: cubrir las necesidades crecientes de las personas con TEA y sus familias en materia de salud bucodental; conseguir la prevención y el tratamiento de las personas con TEA en la consulta odontológica; y garantizar la accesibilidad a servicios de


calidad que incluyan programas educativos especializados, con apoyo psicológico y terapéutico, así como intervenciones específicas para mejorar la salud bucodental.
Las propuestas de intervención se definen de la siguiente manera: desarrollo de planes formativos dirigidos a higienistas dentales de la sanidad pública y privada; la creación de grupos multidisciplinares para la atención de personas con autismo; mejorar la accesibilidad cognitiva y comunicativa tanto de los centros de salud como de las consultas odontológicas; elaborar protocolos específicos de atención bucodental para pacientes con TEA; realizar psicoeducación dirigida a las familias; llevar a cabo medidas de concienciación, sensibilización y prevención dirigidas a la población general; y potenciar la existencia de centros de referencia para la atención odontológica en el sector público a través de la Unidades de Salud Bucodental. ●
















El Instituto de Salud Carlos III (ISCIII) y la Federación Española de Empresas de Tecnología Sanitaria (Fenin) organizaron un encuentro entre los actores clave del ecosistema del Sistema Nacional de Salud (SNS), sus Institutos de Investigación Sanitaria y el tejido empresarial para definir necesidades conjuntas en materia de innovación en salud, e impulsar la transferencia real de conocimiento y tecnología a los pacientes y la ciudadanía.
El encuentro también propició que las empresas de tecnología sanitaria pudieran conocer las necesidades tecnológicas de los investigadores del ISCIII en las fases iniciales del diseño de sus investigaciones. Esta conexión entre investigadores y las empresas permite avanzar en una investigación más eficiente y a la vanguardia con la mejor tecnología puntera. «Para el ISCIII, desde nuestra Oficina de Transferencia de Conocimiento, es fundamental
seguir consolidando las sinergias entre los agentes que conforman el ámbito de la innovación en salud en España. Contar hoy con Fenin y con hospitales e institutos de investigación sanitaria, permite potenciar la transferencia de conocimiento y los contactos con el tejido empresarial, algo clave para acercar nuestro objetivo final de cuidar la salud a través de la ciencia», destacó Marina Pollán, directora general del Instituto de Salud Carlos III. Tal y como se puso de manifiesto en esta jornada, «la identificación consensuada de las necesidades en materia de innovación permite avanzar en retos clave para la sanidad del siglo XXI, como la implementación de la medicina de precisión, donde las terapias digitales juegan un papel clave. Y también contribuye, paralelamente, al desarrollo de un sector de tecnología sanitaria más competitivo y sostenible».
Por su parte, Pablo Crespo, secretario general de Fenin, puso en valor la celebración de esta jornada «en la que Tecnología y Ciencia se dan la mano. El sector de la tecnología sanitaria desarrolla soluciones innovadoras que permiten dar respuesta a los retos del sistema sanitario y las necesidades de los pacientes. En este sentido, es importante conocer las necesidades tecnológicas de los organismos públicos de investigación como el ISCIII y hospitales para, en función de ello, establecer líneas de trabajo conjuntas que permitan incorporar innovaciones de forma ágil y equitativa al sistema». Por último, se desarrollaron 6 mesas redondas activas, en la que los asistentes han podido compartir su conocimiento sobre los principales retos y desafíos de la innovación en el SNS que solo se pueden afrontar mediante la creación de lazos e iniciativas de colaboración público-privada. ●







Para que puedas afrontar tus tratamientos de ortodoncia invisible con total solvencia y seguridad, Instituto IDEOD ha abierto la quinta edición de Aligner Pro Academy, una formación para expertos en esta técnica dirigida por las Dras. Elvira Antolín, Beatriz Solano y Fara Yeste.
Aligner Pro Academy es un máster online en directo con un reducido grupo de alumnos donde se imparten sesiones dinámicas, de tú a tú, para resolver todas las dudas y problemas a los que se enfrentan los profesionales en el día a día de la clínica.
El máster consta de 12 módulos que se organizan en 3 conexiones mensuales: una masterclass de 5 horas de duración que queda también grabada y puesta a disposición de los
alumnos para que puedan repasarla en diferido tantas veces como necesiten; y una segunda sesión mensual, dedicada expresamente a resolver las dudas específicas de cada tema.
Por su parte, la tercera sesión mensual, «posiblemente la más valorada por el más del centenar de alumnos que ya se han formado con Aligner Pro Academy, es la tutorización en directo a través de sesiones clínicas de los casos de los alumnos», destacan desde Instituto IDEOD.
«¿Te imaginas estar delante de tu ordenador planificando tus tratamientos y que Fara Yeste te chive al oído eso de «no vayas tan rápido, que en este caso vamos a necesitar extraer»? ¿O que, antes de aprobar un envío al laboratorio, Elvira Antolín te marque en rojo dónde deberías colocar correctamente los ataches? Seguro que alguna vez has pensado: «Beatriz Solano, ¿ejercería fuerza aquí con un microtornillo?» Pues ellas mismas discutirán mano a mano contigo tus 12 casos a lo largo del año, transmitiéndote su seguridad y capacidad de solución ante cualquier tratamiento complejo», cuentan.
Y es que, concluyen, «en Instituto IDEOD sabemos que, para aprender, primero es habitual equivocarse y qué mejor forma de hacerlo que bajo la tutorización y correcciones de estas tres grandes referentes internacionales de la ortodoncia invisible». ●


El proyecto HEALTHYTOOTH II, liderado por el centro tecnológico AINIA y financiado por el Instituto Valenciano de Competitividad Empresarial (IVACE) y fondos FEDER, en colaboración con las empresas Industrias Grau y Laboratorios Cosmoral, ha diseñado estrategias antimicrobianas dirigidas a los microorganismos responsables de la caries, logrando avances que impulsan el futuro de la salud bucodental.
Uno de los principales logros ha sido la optimización del proceso de bioproducción de una endolisina dirigida frente al principal patógeno causante de las caries. «Gracias
a esta investigación se han establecido las condiciones óptimas para su producción a escala industrial, garantizando una mayor eficiencia y mejorando la calidad del ingrediente mediante técnicas avanzadas de purificación, como la cromatografía de afinidad. Este ingrediente de alta pureza es apto para ser incorporado en productos de salud oral, lo que representa un gran avance en el tratamiento específico de las caries», explican desde AINIA.
Además, señalan que «se ha desarrollado una innovadora estrategia de microencapsulación que permite proteger este principio activo, asegurando su estabilidad y eficacia cuando se integra en productos bucodentales, como pastas de dientes y colutorios. Esta tecnología garantiza que el ingrediente conserve su efectividad terapéutica a lo largo del tiempo, sin comprometer su actividad antimicrobiana».
Por otro lado, AINIA explica otro de los avances que se han conseguido, como la creación de un modelo celular 3D «que simula la cavidad bucal, permitiendo verificar el efecto terapéutico de los prototipos obtenidos durante el proyecto. Este modelo permite evaluar la eficacia del ingrediente activo frente a infecciones bacterianas, confirmando su potencial en el tratamiento y prevención de caries».
Finalmente, «se han formulado y evaluado productos cosméticos bucodentales, como colutorios, en los que el principio activo encapsulado debe mantener su estabilidad y efectividad, para poder llevar a cabo su actividad antimicrobiana en las matrices diseñadas para el cuidado dental», explican. «Este proceso ha permitido validar la integración del ingrediente en productos comerciales, ofreciendo una solución innovadora y eficaz para la salud oral», concluyen. ●





4 FOROS
5 SUMMITS PARA CADA
10-11 abril 2025
Fira Barcelona - Gran Vía


La ministra de Sanidad, Mónica García, anunció el pasado 16 de septiembre en el encuentro o rganizado por el Observatorio Europeo de los Sistemas y Políticas de Asistencia Sanitaria de la Organización Mundial de la Salud (OMS) Europa, la necesidad de ampliar la cobertura de la salud bucodental y la salud visual para cerrar una de las grandes brechas de acceso a nuestro sistema sanitario: «Porque si somos un país referente en Europa y en el mundo, tenemos la responsabilidad de mantener ese liderazgo y navegar los desafíos que se presenten». En este sentido, destacó que se está ultimando un nuevo Plan de Acción de Atención Primaria
¿Qué
«que abordará los desafíos y garantizará que nuestra atención primaria siga siendo un modelo de eficacia y equidad». Desafíos, señaló, como la falta de profesionales en algunas áreas, especialmente en zonas rurales, la sobrecarga de la demanda y la coordinación entre niveles asistenciales. También subrayó que hay que trabajar en el acceso al sistema sanitario porque «no hay que romper la relación médico-paciente». En todo caso, destacó que con una «cobertura prácticamente universal, nuestro Sistema Nacional de Salud representa magníficamente los valores de justicia, equidad y solidaridad que definen a nuestra sociedad».●
La Agencia Nacional de Evaluación de la Calidad y Acreditación (ANECA) ha publicado la resolución que establece los criterios de evaluación generales relacionados con la duración y carga horaria, así como los criterios de evaluación específicos relacionados con los contenidos. Así, se establece que la duración de los estudios reconocibles debe ser de, al menos, 300 créditos ECTS o 3.480 horas lectivas, en caso de no estar organizados los títulos en créditos ECTS, y tener una duración mínima de 5 años. La formación clínica será de, al menos, 540 horas. Asimismo, los contenidos deben regirse por las competencias y módulos establecidos en la Orden CIN 2136/2008, de 3 de julio. Sobre la formación clínica mínima, «las prácticas deben haber sido realizadas en forma de rotatorio clínico odontológico y con una evaluación final de competencias que permitan incorporar los valores profesionales, competencias de comunicación asistencial, razonamiento clínico, gestión clínica y juicio crítico. Deberán incluir
trabajo clínico del estudiante en pacientes de todas las edades y condiciones, de un modo integrado y bajo adecuada supervisión».
Por otro lado, respecto a los 6 ECTS asociados al Trabajo Fin de Grado (TFG), en el caso de que el título extranjero no cuente con un equivalente, este podrá compensarse de cualquiera de las siguientes maneras: aportando evidencias de, al menos, 60 horas cursadas en contenidos asociados a las ciencias biomédicas básicas relevantes en la Odontología, introducción a la Odontología, patología y terapéutica médico-quirúrgica general, patología y terapéutica odontológica; aportando evidencias de las mismas horas de prácticas académicas externas; y aportando un título de doctorado, un trabajo de investigación (equiparable a una tesina o similar) o una publicación científica con indicios de calidad relevantes. Por último, «se podrá tener en cuenta la experiencia profesional hasta un máximo del 15% del número de créditos del Grado». ●

NUEVA ORDEN MINISTERIAL
La Sociedad Española de Cirugía Oral y Maxilofacial y Cabeza y Cuello (SECOMCyC) ha querido pronunciarse sobre la reciente publicación en el BOE de la Orden SND/1002/2024, de 18 de septiembre, que modifica la regulación sobre la autorización de centros, servicios y establecimientos sanitarios, específicamente en relación con las unidades asistenciales de cirugía estética. Esta modificación establece que las intervenciones quirúrgicas estéticas deberán ser realizadas por un médico con la especialidad de Cirugía Oral y Maxilofacial, reparadora o de otra especialidad quirúrgica en función de la zona anatómica a
tratar. En este sentido, SECOMCyC manifiesta que esta nueva redacción «nos permite continuar haciendo este tipo de intervenciones porque están recogidas en el programa de formación de la especialidad de Cirugía Oral y Maxilofacial». Asimismo, «llevamos realizando las oportunas alegaciones al Ministerio de Sanidad desde 2020. En ellas siempre hemos ido de la mano de la Comisión Nacional de la Especialidad». Por otro lado, añaden, «la competencia de la especialidad de Cirugía Oral y Maxilofacial persigue un abordaje integral de la salud, que atañe a todas las estructuras faciales y cervicales». ●

«Una

En Sanitas Dental, la gestión de riesgos clínicos, abordada desde una estrategia preventiva y con un compromiso de mejora continua, es una parte fundamental de la labor clínica diaria. Hablamos con la Dra. Julia Paniagua, responsable de Clinical Governance en Sanitas Dental, sobre este proceso dentro de las clínicas.
—¿Cómo describiría la importancia de la gestión de riesgos clínicos en la práctica odontológica actual y cómo se diferencia de otros campos médicos?
—En el campo de la Odontología estamos, desafortunadamente, todavía por detrás de la Medicina en cuestiones de gestión de control
del riesgo clínico. A su vez, el mundo sanitario en general está alejado de lo que se hace en otros sectores como, por ejemplo, la ingeniería industrial en lo que concierne al control de riesgos y seguridad.
Al concentrarse la actividad odontológica en la cavidad oral, pudiera parecer que el riesgo disminuye al ser una parte pequeña del cuerpo, pero sucede más bien lo contrario.
La manipulación de la cavidad oral tiene un impacto sistémico potencial alto.
La Odontología implica intervenciones frecuentes en la cavidad oral, más frecuentes que en otras especialidades de la Medicina, y la boca es un área muy vascularizada y propensa a infecciones. La correcta gestión de riesgos incluye la esterilización adecuada, control de infecciones y un manejo cuidadoso de los fármacos para evitar complicaciones que provoquen mayor daño en el paciente del que tenía originalmente.
—¿Podría explicarnos en qué consiste el mapa de riesgos que han desarrollado y cómo influye en la toma de decisiones dentro de Sanitas Dental?
Para crear un mapa de riesgos completo y realista, hemos analizado al paciente desde que entra en nuestras clínicas hasta que se va. En cada punto de contacto con el paciente hemos puesto sobre la mesa lo que podría suponer un riesgo desde el punto de vista clínico y que podría desfavorecer el paso de los pacientes por nuestros centros. Es por esto por lo que el mapa de riesgos va más allá de lo que se ciñe solo a tratamientos y complicaciones. Esta foto incluye también lo que tenemos en marcha ya para controlar esos riesgos y reducirlos al máximo posible. De esta forma, los pilares y proyectos que vamos teniendo cada año en
Sanitas Dental van muy orientados a reducir esos riesgos y garantizar tratamientos y soluciones seguras para nuestros pacientes. Se trata de un proceso de mejora continua.
—¿Qué protocolos clave se han implementado para garantizar que todos los equipos, desde la recepción hasta los doctores, participen activamente en el control del riesgo clínico? —Desde recepción tenemos protocolos para garantizar procesos seguros a la hora de recoger información sensible de los pacientes. Tanto la recogida del cuestionario de anamnesis como la presentación de los consentimientos informados a los pacientes para su firma son digitales. La información que se recoge en las tablets se transfiere directamente al programa de gestión que manejan doctores e higienistas para ser validada con el paciente y tener una trazabilidad robusta de esos datos. Esto garantiza la seguridad de los tratamientos a la hora de aplicar medicamentos o ciertas técnicas, ya que el propio sistema alerta al doctor de que se ha recogido información del paciente que podría afectar a ese tratamiento. La información de datos de salud del paciente también vuelca directamente sobre el consentimiento informado riesgos específicos que tiene ese paciente para ese tratamiento, haciendo del consentimiento un documento mucho más útil y personalizado para el paciente. Por otro lado, los protocolos como el de limpieza y esterilización del material clínico se han diseñado muy por encima de los requisitos legales para clínicas dentales, de tal forma que se reduzca hasta ser prácticamente inexistente el riesgo de infección cruzada tan temido en centros dentales que afectan tan de lleno en el control de infecciones.
—¿Qué tipo de formación o preparación reciben los equipos para afrontar los posibles incidentes clínicos y asegurar una respuesta eficaz ante eventos adversos?
—La formación en incidentes clínicos se da de forma recurrente a los equipos, tanto formaciones completas como recordatorios de concienciación. En estas formaciones se
«Para crear un mapa de riesgos completo y realista, hemos analizado al paciente desde que entra en nuestras clínicas hasta que se va»
hace mucho hincapié en la cultura del riesgo y del reporte de incidentes. Los equipos son conocedores de los principales incidentes que son susceptibles de ocurrir en una clínica dental y todo lo que se puede hacer para evitar que ocurran. Siendo conscientes de que nunca vamos a minimizar los incidentes clínicos a riesgo cero, trabajamos para que esa cultura sea transversal a todos los centros y el reporte de incidentes sea inmediato y transparente. Concienciamos a los equipos de esa cultura de la mejora continua y les animamos a compartir de forma transparente si detectan acciones de mejora que reduzcan las posibilidades de que los eventos adversos se repitan.
—¿Cómo manejan el seguimiento de los pacientes después de un incidente clínico para garantizar su satisfacción y confianza en el proceso?
—El primero de los pasos en caso de un incidente clínico es estabilizar la situación y poner al paciente a salvo. En caso de necesitar asistencia sanitaria, la clínica es la responsable del paciente hasta que llega la ambulancia. En este sentido, todas las clínicas de Sanitas Dental están dotadas del material y la medicación adecuadas para administrarle al paciente si fuera necesario. Para nosotros es importante realizar, los días posteriores al incidente, un seguimiento cercano del paciente y que este se sienta arropado por el centro y por la compañía. Esta es nuestra prioridad y lo que nos impulsa a seguir siendo imparables en el afán del control del riesgo clínico y la seguridad de nuestros pacientes. ●

El 30 de noviembre, la sede del Ilustre Colegio Oficial de Odontólogos y Estomatólogos de la 1 a Región (COEM), en Madrid, acogerá el Día SEOC. ¿Cuál es el tema central de este año y qué objetivos se persiguen?
—Bajo el lema «Predecir y optimizar nuestros tratamientos», el tema se centra en la intersección entre la Odontología conservadora y la Odontología digital. Buscamos fomentar el intercambio de conocimientos y experiencias entre odontólogos, investigadores y expertos en tecnología dental. A través de conferencias, los asistentes tendrán la oportunidad de aprender sobre las últimas innovaciones en Odontología digital, como la impresión 3D, la planificación digital de tratamientos y el uso de software avanzado para diagnósticos más precisos. El congreso también tiene como objetivo
Bajo el lema «Predecir y optimizar nuestros tratamientos», la Sociedad Española de Odontología Conservadora y Estética (SEOC) celebrará, el 30 de noviembre, el Día SEOC, un evento, en palabras de la Dra. Isabel Giráldez, presidenta de la entidad, que «busca fomentar el intercambio de conocimientos y experiencias entre odontólogos, investigadores y expertos en tecnología dental en un entorno que valora tanto la tradición como la innovación en la Odontología».
promover la investigación y el desarrollo en el campo de la Odontología, incentivando a los profesionales a explorar nuevas metodologías y a implementar prácticas basadas en evidencia.
—La integración de la Odontología conservadora con las tecnologías digitales será uno de los focos del evento. ¿De qué manera pueden mejorar éstas la predictibilidad y optimización de los tratamientos?
—En primer lugar, las imágenes digitales avanzadas, como la tomografía computarizada de haz cónico (CBCT) y los escáneres intraorales, proporcionan representaciones tridimensionales detalladas de la anatomía dental del paciente que permiten un diagnóstico más preciso y una planificación del tratamiento más exacta, mejorando la predictibilidad de los resultados. Además, el uso de software de diseño asistido por computadora (CAD) y
fabricación asistida por computadora (CAM) permite la creación de restauraciones dentales personalizadas con una precisión milimétrica. La impresión 3D es otra tecnología clave que está transformando la Odontología conservadora y que permite la fabricación rápida y precisa de modelos, guías quirúrgicas y prótesis temporales, lo que agiliza los procedimientos y mejora la precisión de los tratamientos. La inteligencia artificial (IA) y el aprendizaje automático pueden analizar grandes volúmenes de datos para predecir resultados de tratamientos, identificar patrones y sugerir planes de tratamiento personalizados.
—Las ponencias contarán con la participación de destacados expertos en el campo de la Odontología conservadora y la tecnología digital. ¿Quiénes serán y qué conocimientos, investigaciones y prácticas compartirán con los asistentes?
—El Dr. Álvaro Ferrando, con «Evolución y mantenimiento de las rehabilitaciones totales adhesivas en pacientes con desgastes dentales», mostrará el seguimiento de casos clínicos con desgastes dentales severos rehabilitados a 5, 7 e inclusive a 10 años; el Dr. Santi Poc hablará de la «Planificación digital en Estética Dental: BOPT», donde detallará las ventajas digitales frente a las analógicas; el Dr. Ramón Gómez Meda, con «Preservando dientes con autotrasplantes: flujo digital», expondrá las ventajas de la aplicación del flujo digital en la técnica de autotrasplante; el Dr. Wenceslao Piedra, con «Rehabilitación oral y Odontología digital. ¿Qué es lo que realmente sabemos?», generará un criterio y una visión crítica de la aplicación de las tecnologías 3D en Odontología; el Dr. Pablo Ramírez, con «Integración de Odontología digital para tratamientos mínimamente invasivos», combinará casos clínicos y aplicaciones prácticas que demuestran los beneficios de esta integración; y el Dr. Rubén Agustín hablará de la «Terapéutica predecible a largo plazo en prótesis fija» donde, tras 10 años de estudio científico sobre el tratamiento BOPT, se expondrán los resultados clínicos a medio-largo plazo.
«El congreso tiene como objetivo promover la investigación, incentivando a los profesionales a explorar nuevas metodologías»
—¿Cuáles son las razones principales por las que los profesionales del sector no deberían perderse este evento? ¿Cómo les beneficiaría su asistencia al mismo?
—Los asistentes se actualizarán en las últimas innovaciones en Odontología digital con aplicación en Odontología conservadora y estética para mejorar la precisión y eficiencia en los tratamientos. También, podrán compartir con compañeros y casas comerciales sus experiencias con la tecnología digital y la Odontología conservadora.
—¿Cómo visualiza el futuro de la Odontología conservadora y estética? ¿Cuál cree que serán las tendencias y avances más notables?
—El futuro se vislumbra prometedor, con avances tecnológicos y enfoques personalizados. Las tendencias más notables incluirán el uso de la inteligencia artificial para diagnósticos precisos y tratamientos personalizados, así como la impresión 3D para restauraciones dentales exactas. Además, la Odontología mínimamente invasiva seguirá ganando terreno, priorizando la preservación de la estructura dental natural. La Estética Dental también se beneficiará de materiales más duraderos y estéticamente miméticos. ●

El horno Vita Smart.Fire Advanced incorpora una cámara de cocción de mayor tamaño que ofrece espacio para puentes de hasta 14 piezas y posibilita un uso versátil también en el laboratorio. El enfriamiento lineal con simulación de la temperatura del objeto garantiza unos resultados de cocción precisos y seguros. Las nuevas mesas de enfriamiento opcionalmente enganchables, así como un nuevo soporte de cocción y nuevos pernos para soporte de cocción, amplían el abanico de usos del horno.
www.vita-zahnfabrik.com
Pack Magnum, un nuevo concepto de almacenamiento

El Pack Magnum de Ticare es un nuevo concepto de almacenamiento para tus implantes de mayor rotación. Permite crear tu zona de implantes en clínica, además de ser una forma premium de probar el #gapZero de Ticare. Cada pack está compuesto por 10 implantes inHEX de la medida que se elija, los únicos implantes libres de filtración bacteriana que disminuyen el riesgo de periimplantitis.
https://www.ticareimplants.com/

El nuevo pilar Multi-Unit mini ha sido diseñado para combatir la periimplantitis, mejorando el espacio biológico supracrestal. Entre sus características destaca su plataforma reducida de 3,8 mm. Su diseño estrecho mejora la cantidad de fibras de colágeno, aumentando la vascularización del sellado mucoso. Su geometría externa es convergente hacia la coronal, favoreciendo la migración de los miofibroblastos presentes en el tejido conectivo en esa dirección.

Con productos de última generación, como distractores fabricados a medida y microtornillos de anclaje, Osteógenos ofrece soluciones precisas y estéticas para satisfacer las necesidades de los profesionales de la Odontología. Dentro de esta gama, además, destacan los innovadores microtornillos Ancotek, que ofrecen una fijación excepcional gracias a su diseño preciso.
www.osteogenostiendaonline.com

Desarrollada para los requisitos especiales de prótesis dental, Light 1 ofrece la mejor luz para cada situación de trabajo. Su óptica, especialmente desarrollada por Renfert, proporciona una iluminación de la zona de trabajo hasta ahora inigualable: ver más, trabajar mejor. Permite percibir cada detalle y cada faceta del trabajo de prótesis dental. Un proceso de trazado de rayos distribuye la luz de forma homogénea, creando una elevada intensidad media de iluminación y una brillante reproducción de colores y superficies.
https://www.renfert.com/es-es/
OraGRAFT® Prime, primer aloinjerto putty 100% hueso

Se trata de un aloinjerto en un innovador formato de fibras óseas desmineralizadas que se moldean fácilmente al ser hidratadas. Las fibras de OraGRAFT® Prime se entrelazan ente sí y permiten que el injerto se vuelva moldeable tras su rehidratación. Este aloinjerto óseo ha sido desarrollado para procedimientos donde existe la necesidad de usar un material de injerto óseo que tenga potencial osteoinductivo.
https://www.smartimplantsolutions.com/
https://salugraftdental.com/productos/oragraft-primealoinjerto-putty/

Desde septiembre, Ticare ya incluye la opción de angular la conexión BioCAM para inHEX Mini. Esta nueva angulación permite corregir hasta un máximo de 15 o. Para el diseño de prótesis se han actualizado las librerías disponibles de cada software, que se pueden descargar desde la página web de Ticare BioCAM.
https://www.ticareimplants.com/ticare-biocam/
Zmatrix™, membrana reabsorbible de colágeno


Es una membrana reabsorbible de colágeno porcino nativo, no reticulado procedente del peritoneo, aún más elástica que la anterior. Esta nueva versión es más suave y texturizada y posee una excelente capacidad de recubrimiento sin adherirse sobre sí misma ni sobre el instrumental. Su tiempo de reabsorción es de 3-4 meses.
https://salugraftdental.com/productos/zmatrixmembrana-reabsorbible/
Nuevo set de prostodoncia

Entre los lanzamientos que Ticare presenta para 2024 se encuentra el nuevo set de prostodoncia, en el que se contempla toda la gama de prótesis, destornilladores organizados por categoría y una guía de torques. Entre las ventajas que se destacan de este set se encuentra la comodidad de tener todo en un mismo lugar, el ahorro de tiempo y reducir el estrés de localizar todo el material.
www.genetic.ticareimplants.com/tienda/

Están fabricadas con varias alturas gingivales para adaptarse a las necesidades de cada paciente. Entre sus características destacan varias áreas cementables, área cónica para facilitar la inserción de puentes, 3 caras planas para evitar rotaciones y un ajuste perfecto mejorado. Además, están recubiertas con el revestimiento de superficie Biogold.
https://www.smartimplantsolutions.com/

Está compuesto por un escalador ultrasónico y un aeropulidor de bicarbonato/ glicina, que permite realizar tratamientos periodontales y endodónticos (subgingivales y supragingivales) de forma precisa, eficaz e indolora. El aeropulidor es ideal para pulir, sin producir arañazos en la superficie dental ni daños leves en los tejidos blandos. Además, ambas piezas de mano son divisibles y autoclavables.
www.rumarcedeira.com/novedades-aparatologia/
de

Xeomin® es una toxina botulínica indicada para el tratamiento de la sialorrea, una patología englobada en el tercio inferior de la cara y que, por tanto, permite su uso por parte de los odontólogos. Este método permite tratar el babeo crónico consistente en la pérdida involuntaria y pasiva de saliva desde la boca hacia la faringe y hacia el exterior.
https://www.merztherapeutics.com/es/
Organizan: BeiDE y Center for Advanced Dental Education.
Imparte: Dr. Roberto Rossi.
Fecha y lugar: 6 y 7 de junio de 2025 en Dallas (Estados Unidos).
E-mail: info@bedentalexpert.com
https://bedentalexpert.com/cursos/the-master-series-3-tecnica-del-dr-rossi-conlamina-cortical-protocolo-simplificado-de-rog/

Organiza: Universidad Complutense de Madrid (UCM).
Imparte: Dr. Juan López-Quiles.


Fecha y lugar: el primer módulo se celebrará del 31 de enero al 1 de febrero de 2025 en la UCM.
Teléfono e e-mail: 913 941 906 - odonfpermanente@ucm.es
https://odontologia.ucm.es/f-permanente-cursos
Curso intensivo sobre biomateriales dual-phase en la predictibilidad de implantes
Organiza: Osteógenos.
Imparte: Dr. Iñaki Gamborena.
Fecha y lugar: 9 de noviembre de 2024 en Madrid.
Teléfono e e-mail: 696 962 892 - formacion@osteogenos.com www.osteogenos.com

Organiza: Instituto de Desarrollo Odontológico Digital (IDEOD). Dirige: Sofía Solano.

Fecha y lugar: de octubre de 2024 a junio de 2025. Doble convocatoria. Sevilla/Madrid. Teléfono e e-mail: 659 862 391 - info@institutoideo.es www.institutoideod.es
Alineadores in-house: el siguiente paso en la digitalización de tu clínica
Organiza: Ortocervera - Instituto de Ortodoncia.
Imparten: Dra. Isabel Cervera, Dr. Alberto Cervera y Dra. Mónica Simón.
Fecha: comienza en enero de 2025.
Teléfono: 915 541 029 www.ortocervera.com


Organiza: GC Ibérica Dental.
Imparte: Sergi Barcía.
Fecha y lugar: 22 de noviembre de 2024 en Madrid. Teléfono e e-mail: 916 364 340 - formacion@spain.gceurope.com https://www.gc.dental/europe/es-ES
Curso de elevación de seno maxilar
Organiza: Osteógenos.
Imparte: Dr. Alfonso Sande.
Fecha y lugar: 15 de noviembre de 2024 en Pontevedra.
Teléfono e e-mail: 696 962 892 - formacion@osteogenos.com www.osteogenos.com


Aplicación clínica del avance mandibular para el tratamiento
Organiza: Ortocervera - Instituto de Ortodoncia.
Imparte: Dra. Mónica Simón Pardell.
Fecha: libre elección de fecha de celebración.
Teléfono: 915 541 029 www.ortocervera.com
Organizan: BeiDE y Urban Regeneration Institute.
Imparte: Dr. Istvan Urban. Fecha y lugar: 22 de febrero de 2025 en Madrid.
Teléfono e email: 636 830 325 - info@bedentalexpert.com https://bedentalexpert.com/cursos/urban-day-regeneracion-osea-y-de-tejidosblandos/


Soluciones estéticas en restauraciones indirectas CAD/CAM con disilicato de litio
Organiza: GC Ibérica Dental.
Imparte: Dra. Simone Moretto. Fecha y lugar: 4 y 5 de noviembre de 2024 en Lovaina. Teléfono e e-mail: 916 364 340 - formacion@spain.gceurope.com https://europe.gc.dental/es-ES/education/courses
Organiza: Ortoplus.
Fecha y lugar: 18 de octubre de 2024 en Málaga. E-mail: cursos@ortoplus.es ortognatica.ortoplus.es


para un resultado fiable en el flujo digital
Organiza: Asociación de Técnicos en Prótesis Dental del País Vasco y Bioinnovación Dental.
Ponente: César de la Ossa. Fecha y lugar: 11 de octubre de 2024. https://www.euskalprotesis.com/
Organiza: BeiDE.
Imparte: Dr. Marco Veneziani.
Fecha y lugar: 24 y 25 de enero de 2025 en Madrid.
Teléfono e e-mail: 636 830 325 - info@bedentalexpert.com https://bedentalexpert.com/cursos/nuevo-enfoque-multidisciplinar-pararehabilitaciones-esteticas-del-sector-posterior/


Organiza: Osteógenos.
Imparten: Dres. Antonio Murillo, Carlos Escuer, Arturo Flores y Alberto Salgado.
Fechas: a lo largo de 2025.
Teléfeno e e-mail: 914 133 714 - formacion@osteogenos.com www.osteogenos.com
Organiza: Consejo Científico Minec (MegaGen International Network of Education & Clinical Research).
Imparten: Dres. Fernando Cebrián, Miguel Murua, Félix Wucherpfennig, Ramón Gómez Meda y Marcus Engelschalk.
Fecha y lugar: 31 de enero de 2025 y 1 de febrero de 2025 en Madrid. E-mail: hola@minec.es www.minec.es/summit


Organiza: Instituto de Desarrollo Odontológico Digital (IDEOD) - Universidad Antonio de Nebrija Formación (NFC). Dirige: Dr. Enrique Solano. Fecha y lugar: 3 años a tiempo parcial. Inicio en septiembre de 2025. Sevilla. Acreditaciones: 180 ECTS. Certificación Invisalign incluida. Teléfono e e-mail: 659 862 391 - info@institutoideo.es www.institutoideod.es
Organiza: Neosalut.
Fecha y lugar: 1 de febrero de 2025. Online y presencial en Madrid. Teléfono e e-mail: 606 798 050 - info@neosalut.com https://www.neosalut.com/tu-si-que-vales



¿Te gustaría aprender o mejorar tu nivel de FOTOgrafía Dental?
Organiza: Fernando Rey FOTOgrafía Dental. Cursos personalizados grupales o individuales. Cursos tanto de nivel clínico como avanzado. Ofrecen diseño de presentaciones, conferencias y comunicaciones modernas, elegantes y dinámicas. www.fotografiadentalfr.com/
Organizan: BeiDE y Center for Advanced Dental Education.
Imparte: Dr. Fouad Khoury.
Fecha y lugar: 17 y 18 de enero de 2025 en Dallas (Estados Unidos).
E-mail: info@bedentalexpert.com
https://bedentalexpert.com/cursos/the-master-series-2-conceptos-actuales-en-eltratamiento-rapido-con-implantes-injertos-oseos-y-manejo-de-tejidos-blandos/



Organiza: Ticare.
Imparten: Dres. Marcelo Clermont y Jerián González. Fecha y lugar: 25 de octubre de 2024 en Madrid. www.ticareimplants.com/formacion
Organiza: Instituto de Desarrollo Odontológico Digital (IDEOD) - Universidad Antonio de Nebrija Formación (NFC).
Dirige: Dra. Asunción Mendoza.
Acreditaciones: 20 ECTS.
Fecha y lugar: 9 meses a tiempo parcial. Inicio en septiembre de 2024. Sevilla.
Teléfono e e-mail: 659 862 391 - info@institutoideo.es www.institutoideod.es

Organiza: Osteógenos.

Imparten: Dres. Alfonso García Pérez y Carlos Martínez Barcenilla. Fecha y lugar: 22 de noviembre de 2024 en Madrid.
Teléfono e e-mail: 696 962 892 - formacion@osteogenos.com www.osteogenos.com
Organiza: Salugraft Dental.
Imparten: Dres. Alberto Ortiz-Vigón y Erik Regidor. Fecha y lugar: 25 de octubre de 2024 en Bilbao. https://salugraftdental.com/curso/curso-salugraft-manejo-tejidos-blandos-y-durosperiocentrum-bilbao/

Organiza: Ortocervera - Instituto de Ortodoncia.


Imparten: Dra. Isabel Cervera, Dr. Alberto Cervera y Dra. Mónica Simón. Fechas: del 7 al 9 de noviembre de 2024 (primer módulo) y del 28 al 30 de noviembre de 2024 (segundo módulo).
Teléfono: 915 541 029 www.ortocervera.com
Organiza: Universidad Complutense de Madrid (UCM).
Imparte: Prof. Dr. Guillermo Pradíes y Profa. Dra. Cristina Madrigal.
Fecha: consta de 6 módulos. Desde el 24-25 enero de 2025 hasta el 14-15 de noviembre de 2025 en la UCM.
Teléfono e e-mail: 913 941 906 - odonfpermanente@ucm.es https://odontologia.ucm.es/f-permanente-cursos


Organiza: Instituto de Desarrollo Odontológico Digital (IDEOD) - Universidad Antonio de Nebrija Formación (NFC). Dirige: Dr. Enrique Solano. Fecha y lugar: 7 meses a tiempo parcial. Comienza en enero de 2025. Sevilla. Teléfono e e-mail: 659 862 391 - info@institutoideo.es www.institutoideod.es
Organiza: Cátedra Institucional USC-Ticare. Equipo docente: Prof. Juan Blanco, Pilar Batalla, Antonio Liñares y Santiago Mareque; y los Dres. Yago Leira, José Luis Dopico, Benjamín Serrano, Gabriel Villaverde y Germán Barbieri.
Fecha y lugar: 8 de noviembre de 2024 y 17 de enero de 2025 en la USC. www.ticareimplants.com/formacion




Organiza: Fundació Lluís Alcanyís – Universitat de València. Dirigen: Dr. Leopoldo Forner Navarro y Dr. Adrián Lozano Alcañiz. Fecha y lugar: comienza el 17 de octubre de 2024 y finaliza el 22 de octubre de 2027 en Valencia. Teléfono e e-mail: 963 395 037 - formaciofla@uv.es https://go.uv.es/32cP3xL
Organiza: BEGO Iberia.
Imparte: Pere Colomina. Fecha y lugar: diversas fechas (online/presencial).
Teléfono e e-mail: 933 720 325 - begoiberia@bego.com https://iberia.bego.com/

Organiza: Ortocervera - Instituto de Ortodoncia.

Imparten: Dr. Alberto Cervera, Dra. Isabel Cervera y Dra. Mónica Simón.
Fecha: comienza el 27 de marzo de 2025.
Teléfono: 915 541 029 www.ortocervera.com
Curso intensivo: «Descubre el novedoso tratamiento vestibular Socket Therapy»
Organiza: Osteógenos.
Imparte: Dr. Abdelsalam Elaskary.
Fecha y lugar: 29 y 30 de noviembre de 2024 en Madrid.
Teléfono e e-mail: 914 133 714 - formacion@osteogenos.com www.osteogenos.com

Organiza: Instituto de Desarrollo Odontológico Digital (IDEOD).

Dirigen: Dra. Elvira Antolín, Dra. Beatriz Solano y Dra. Fara Yeste. Fecha y lugar: comienza en enero de 2025. Online con sesiones y tutorías de casos clínicos en directo y revisión en diferido.
Teléfono e e-mail: 659 862 391 - info@institutoideo.es www.institutoideod.es
de Ortodoncia Interceptiva y Ortopedia Dentofacial
Organiza: Ortoplus.
Fecha y lugar: 25 y 26 de octubre de 2024 en Málaga.
E-mail: cursos@ortoplus.es www.ortoplus.es/cursos


Organiza: Salugraft. Fecha y lugar: 23 de noviembre de 2024 en Madrid. Este evento científico-benéfico contará con los mejores expertos en regeneración del país.
https://salugraftdental.com/curso/simposio-salugraft/
Organiza: Universidad Complutense de Madrid (UCM).
Imparten: Prof. Dr. José María Martínez González y Prof. Dr. Juan López-Quiles. Fechas: 14 y 15 de febrero de 2025 (primer módulo); 21 y 22 de febrero de 2025 (segundo módulo).
Teléfono e e-mail: 913 941 906 - odonfpermanente@ucm.es https://odontologia.ucm.es/f-permanente-cursos


Organiza: Ticare.
Imparte: Dr. Alberto Monje. Fecha y lugar: 14 de octubre en formato online. https://www.implant-training.es/


OCTUBRE 2024
V Congreso Internacional de Prótesis Dental
días 4 y 5
SEPES Sevilla del 10 al 12
días 18 y 19
SESPO Santiago de Compostela días 25 y 26
AEDE Sevilla del 31 al 2
NOVIEMBRE 2024
SECIB
días 14 y 15 SEOE
día 16 ACADEN
ENERO 2025
SOCE
FEBRERO 2025
AAMADE
COEM
MARZO 2025
Jornadas Técnicas de Prótesis Dental
SEOII
ABRIL 2025
SEOC
del 21 al 23
del 15 al 17 SEMDES
del 21 al 23
días 31 y 1
días 7 y 8
días 7 y 8
días 7 y 8
IDS Colonia (Alemania) del 25 al 29
del 27 al 29
MAYO 2025
SEDCYDO, SEMO, SEGER
SEMO Materiales
JUNIO 2025
SECOMCyC
días 10 y 11
del 3 al 5 Barcelona Dental Show
del 8 al 10
del 8 al 10
días 23 y 24 SCOI
días 30 y 31
del 5 al 7
SEdO Murcia del 11 al 14 CALENDARIO











Conexión NSK
Z990L REF. PA2373
Conexión KaVo® MULTIflex®
Z990KL REF. PA2375
• Cabezal en ángulo de 100° • Cuerpo de Titanio con DURAGRIP Resistente a arañazos • Rodamientos de Cerámica • Óptica de Vidrio Celular • Portafresas Push Botton • Spray Quattro • Sistema de Cabezal Limpio • Parada rápida • Microfiltro • DYNAMIC
• Tamaño del Cabezal: ø12,1 x H 12,7 mm







Z95L Con Luz 1:5 REF. C1034
• Clean Head System (Anti-Retorno) • Spray Switch (2 tipos de Spray: bruma y chorro) • Velocidad Máxima: 200.000 min-1
• Portafresas Push Button • Rodamientos de Cerámica • Microfiltro
Z25L Con Luz 1:1 REF. C1038






• Clean Head System (Anti-Retorno) • Spray Switch (2 tipos de Spray: bruma y chorro) • Velocidad Máx: 40.000 min-1 • Óptica de Vidrio Celular • Portafresas Push Button • Microfiltro • Para fresas CA (ø2,35)*














DESDE EL 1 DE SEPTIEMBRE HASTA EL 31 DE DICIEMBRE DE 2024



Nuevo VarioSurg 4 SISTEMA ULTRASÓNICO DE CIRUGÍA ÓSEA






VarioSurg 4
REF. Y1500706
5.959€*
9.490€*

Incluye:
• Unidad de control
• Pieza de mano LED con cable de 2m
• Pedal de control FC-86
• Cassette de esterilización
• Soporte para pieza de mano
• Tubo de irrigación (3 uds.) y otros accesorios
• Kit básico H-S (H-SG1, SG3, SG5, SG6D, SG7D, SG11 y soporte de puntas)

Características:

•Gran aumento de potencia
•3 modos (CIRUGIA, ENDO, PERIO)
•Modo ráfaga seleccionable (3 frecuencias)
•9 programas (CIRUGIA x 5, ENDO x 2, PERIO x 2)
•Intensidad de luz LED regulable
•Modo de limpieza automático

•Función de retroalimentación

•Función de sintonización automática
•Función de enlace dinámico
CON DOBLE LUZ
Aplicaciones:
Cirugía oral
•Cirugía ósea
•Raspado
•Elevación de seno
•Extracción
•Membrana sinusal
•Preparación de implantes
Perio
•Raspado
•Perio (alisado radicular)
•Mantenimiento
•Endo Retrogrado


• Ofertas limitadas hasta el 31 de diciembre de 2024
* Los precios no incluyen IVA

Disco de composite para la confección de prótesis removibles parciales y totales.
• Resistente a la abrasión, para garantizar la durabilidad de los dientes protésicos
• Manipulación sencilla y fácil pulido
• Estética multicolor natural

