Neuromyelitis Optica

Page 1

Neuromyelitis Optica

Celia Oreja-Guevara, Hospital Clinico San Carlos, Spain

Andrew Chan, Ruhr-University Bochum, Germany

Patrick Vermersch, University of Lille, France

www.paradigms.foundation

NeuroMyelitis Optica

Devic, 1894:

• 45-year-old patient with paraplegia and simultaneous amaurosis

• Demyelination and necrosis: optic nerves, spinal cord

Lennon 2004:

• Characterization of NMO-IgG, antigen: aquaporin IV (AQP4), pathogenetically relevant

Miyazawa I, et al. J Neurol. 2002;249:351-352. Lennon VA, et al. Lancet. 2004;364:2106-2112. 2

Aquaporin IV

3 6/26/2020

A serum autoantibody marker of neuromyelitis optica

Lennon
2004 4 6/26/2020
et al.,
Papadopoulos, M. C. et al. (2014)

Increase of glutamate release

BBB disruption

Down regulation of GLT1

Impaired astrocytic uptake of glutamate, oligodendrocyte injury and demyelination

Reduced Kir 4.1 expression: Impair efflux of K at the astrocytic end feet, impairment of coupling synaptic activity and cerebral blood flow

AQP4 co-localization
6 6/26/2020
Benarroch 2007, Nagelhus et al., 1999, Zeng et al., 2006, Marignier et al., 2010
.

F:M 10:1 (AQP4-positive NMO)

• Older presentation (34-43 years) than MS

• Very late onset possible

30% with other autoimmune diseases

3% NMO patients with NMO-relatives

• East Asian/African population

• Severe relapses

• Rare: chronic progressive cases

7 6/26/2020
Epidemiology

“Classical” phenotype

8 6/26/2020

AQP4-Ab: monophasic or recurrent isolated ON (RION), brainstem encephalitis

Brainstem manifestations: intractable hiccups or vomiting, symptomatic narcolepsy, and neuroendocrine dysfunctions

Posterior reversible encephalopathy syndrome

In children (and sometimes in adults): broader spectrum of encephalitic manifestations (seizures)

Spectrum
NMO
Disorder
9 6/26/2020

NMO-Spectrum Disorders (NMOSD)

1. NMO

2. Limited forms of NMO: - LETM: Longitudinal extensive transverse myelitis

- rON: relapsing bilateral optic neuritis

3. Opticospinal MS (Asia)

4. rON or LETM with systemic autoimmunity

5. „Cerebral“ NMO with lesions at typical topography, with/without rON/LETM

-

Optic chiasm

-

Hypothalamus

-

3./4. Ventricle

-

Brainstem / Area postrema

10 6/26/2020

• Area postrema,

• Brainstem lesions

Dorsal medulla,
Wingerchuk, Neurology 2015 . 11 6/26/2020

Brainstem manifestations of NMO

Kremer et al., Mult Scler 2013

Intractable hiccups

✓ 8/47 (17 %) patients NMO (0/130 MS)

✓ Duration > 48 h (66 %) and/or nausea (80 %)

✓ Before a relapse in 54 %, during a relapse in 29 %

✓ Sometimes isolated and first symptom

✓ Medulla oblongata lesions (47%) +/- extensive myelitis (80 %)

Misu et al., Neurology 2005; Takahashi et al., J Neurol Neurosurg Psychiatry 2008
Area postrema

Intractable vomiting

✓ 12 patients AQP4-Ab+ with intractable vomiting (median 4 weeks)

✓ Followed by ON or acute transverse myelitis (NMO diagnosis in 7 cases)

✓ Area postrema lesions in MRI or at autopsy

al., Ann
2010
Apiwattanakul et
Neurol

Neuropathic pruritus

✓ 12/44 patients (27 %)

✓ Lesions frequently in the superior part of the cervical SC

✓ SC / brainstem

Elsone et al., Mult Scler J 2012

Corticospinal

ADEM/PRES

16
Corpus callosum
17 6/26/2020
Pencil sign Hodel and Vermersch, in press 2016.

Diencephalic lesions

18 6/26/2020

Hypothalamus lesion

19 6/26/2020

Linear involvement of corpus callosum

2016. 20 6/26/2020

Cloud-like enhancement

21 6/26/2020

Atypical cerebral white matter lesions

22 6/26/2020

NMO: visual parameters and outcomes

Microcystic macular oedema

MRI lesions

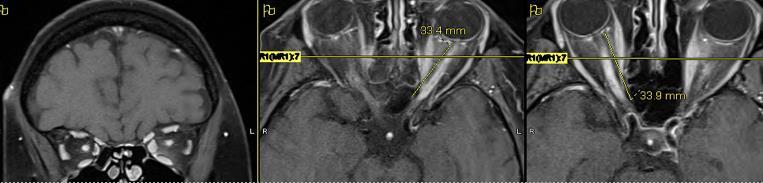
comparing with MS: More extended bilateral Chiasma

Comparing with MS: bilateral, VA lower, OCT lesions more severe (RNFL, GCL)

MSJ
Wingerchuck et al., Neurology 2015 Kim et al., Neurology 2015; ²Kremer et al., JAMA Neurol 2015; 3Bennett et al., Mult Scler 2015 23 6/26/2020
Hadhoum et al.,
2015,
Oertel. 2018 . 24 6/26/2020

NMO: French cohort

Collongues et al., Neurology 2010 25 6/26/2020

NMO cohorts

Papais-Alvarenga et al., J Neurol Neurosurg Psychiatry 2002; Wingerchuk et al., Neurology 2003; Ghezzi et al., J Neurol 2004; Cabre et al., J Neurol Neurosurg Psychiatry. 2009; Collongues et al., Neurology 2010 . 26 6/26/2020 Papais-Alvarenga et al., 2002 Wingerchuk et al., 2003 Ghezzi et al., 2004 Cabre et al., 2009 Collongues et al., 2010 Diagnostic criteria Kira 1999 1999 Various 2006 N= 24 80 46 96 125 Follow-up (mean) 7.7 7.6 8,8 10.2 10 Age of onset 32 38 35 29.5 34 Sexe Ratio F/M 5/1 2.5/1 4/1 11/1 3/1 First location (%) Spinal cord ON Both 37.5 33.3 29.212.5 39.1 56.6 4.3 31.2 50 18.8 46.9 37.5 15.6 NMO-IgG (%) - - - 32 55 Interval R1-R2 (mean/median) -/- -/- 1.4/- 2.3/1 2.4/1 Delay optico- spinal (mean/median) 3.9/1.3 - - 2.9/2 2.9/1.2

NMO cohorts

Papais-Alvarenga et al., J Neurol Neurosurg Psychiatry 2002; Wingerchuk et al., Neurology 2003; Ghezzi et al., J Neurol 2004; Cabre et al., J Neurol Neurosurg Psychiatry. 2009; Collongues et al., Neurology 2010 . 27 6/26/2020 PapaisAlvarenga et al., 2002 Wingerchuk et al., 2003 Ghezzi et al., 2004 Cabre et al., 2009 Collongues et al., 2010 EDSS 3 (median) EDSS 6 EDSS 8--0.5 71 8 229Number of deaths (%) 6 (25) 18 (22.5) 6 (13) 24 (25) 3 (2.3) Annualized relapse rate 1.19 - 1.3 0.95 0.94
Bourre et al., Neurology 2012
NMO and pregnancy

Pediatric NMO

Collongues et al., Neurology 2010 29 6/26/2020

Pediatric NMO

58 patients < 18 years old, AQP4-Ab + Brain lesions > 30 %

Pseudo-ADEM

Peri-aqueduccal

Cortico-spinal tracts

McKeon et al., Neurology 2008 . 30 6/26/2020

Revised diagnostic criteria 2015

Wingerchuk et al., Neurology 2015 . 31 6/26/2020
Wingerchuk et al., Neurology 2015 32 6/26/2020

NMOSD according to 2015 criteria

NMO associted with other systemic inflammatory disorders

Classical NMO AQP-4 + Spectrum NMO AQP-4 + (others) NMO AQP-4 –(20 - 40 %) Monophasic NMO

Differential diagnosis

• Bilateral severe optic neuritis, altitudinal defects

− MRI: longer lesions, optic chiasm; OCT: more widespread atrophy

• Brain lesions: up to 60%

Cave: Barkhof criteria 10-42%, no cortical lesions

CSF − >50/ml WBC, neutrophils/eosinophils >5/ml, 10-25% OCB (fluctuating), (GFAP, IL6)

• Severe Myelitis, subacute (not peracute/chronic)

Cave: 2-3% of MS LETM, 7-14% of NMO initially short lesions

Wingerchuk et al., Neurology 2015 34 6/26/2020
NMO vs. MS
Juryncik et al., JNNP 2015 . 35 6/26/2020
Differential diagnosis NMO vs. MS
differences NMO vs. MS 36 6/26/2020
Immunopathological

NMOSD without anti-AQP-4 ab

NMO without anti-AQP-4 ab: 20 - 40 % of NMO patients

Among theses 20-40%: Anti-MOG ab is detected in 20%

MOG

unknown

80%: no antibodies detected

NMO with anti-MOG+

Compared with NMO anti-AQP4+, NMO anti-MOG :

▪Are younger

▪First relapse more often multifocal

▪Better outcomes after relapses

Kitley et al., JAMA Neurol 2014

NMO with anti-MOG+

Sato et al., Neurology 2014

NMO with anti-MOG+

Comparing with NMO anti-AQP-4+, NMO anti-MOG :

▪ Fewer relapses

▪ First relapse more frequently monofocal

▪ Better outcomes

Sato et al.,
2014
Neurology

RED FLAGS

Vel tincidunt arcu libero quis enim. 41 6/26/2020

TREATMENT

Relapses

Drugs to avoid

Relapses prevention: off-label treatments

New treatments

Vel tincidunt arcu libero quis enim. 42 6/26/2020

Treatment of NMO relapses

High doses IV steroids

➢ Methylprednisolone : 3-10 g/d 3-5 days

➢ Steroid oral tapering : 1 mg/kg/day 10 days-1 month (??)

Plasma exchange (Plex)

➢Severe, worsening or corticosteroid-refractory acute attack

➢5-7 times in alternative days

IVIg

Other options: cetirizine, bevacizumab

1Weishenker et al., Ann Neurol 1999; ²Elsone et al. Mult Scler 2013, Kleiter et al, Ann Neurol 2016

TREATMENT: Drugs to avoid

- Standard MS therapies are ineffective for NMO

- NMO worsening was reported with :

natalizumab

fingolimod

alemtuzumab

Vel tincidunt arcu libero quis enim. 44 6/26/2020
aggravate NMO
Interferon beta may
Kleiter for NEMOS, Arch Neurol 2012
Natalizumab

Natalizumab exacerbates NMO

Jacob et al., Neurology 2012

Min et al., Mult Scler 2012

2 Weeks Fingolimod

Gelffand et al., Neurol Neuroimmunol Neuroinflamm 2014

NMO: off-label used treatments

DMDs: Immunosuppressants versus immunomodulators

Immunosuppressants better than immunomodulators in NMO

Papeix et al., Mult Scler 2007

Traitements de fond Immunosuppressants

Escalate strategy? When ?

Induction strategy

Which ?
Vel tincidunt arcu libero quis enim. 53 6/26/2020

Azathioprine

Costanzi et al., Neurology 2011
Costanzi et al., Neurology 2011
Azathioprine
Mycophenolate
Jacob et al., Arch Neurol 2009
Mofetil
Cabre et al., J Neurol Neurosurg Psychiatry. 2013
Mitoxantrone
Jacob et al., Arch Neurol 2008
Rituximab

➢ Rituximab is effective

Rituximab (II)

➢ Used in first line : 84.3 % of patients realpse-free, used in second line: 52.3 % relapse-free

Zéphir et al., J Neurol 2015; Collongues et al., Multi Scler 2015

➢ Rituximab is effective

Rituximab (III)

➢ Frequent dose: 1 gr iv x 2 , 2 weeks apart

➢ Duration of effect: 6-10 months

➢ Re-treatment timed: ➢ Scheduled: 1 infusion every 6 months

➢ Retreat when CD19> 1% of total lymphocytes

➢ Retreat if CD27>0.05%

➢ Increased infections associated with IgG decrease

Zéphir et al., J Neurol 2015; Collongues et al., Multi Scler 2015
Vel tincidunt arcu libero quis enim. 61 6/26/2020

NEW TREATMENTS

Approved: Eculizumab

Not yet approved (clinical trials are finished) :

Satralizumab

Inebilizumab

Other treatments:

Tocilizumab

>Bortezomib

Vel tincidunt arcu libero quis enim. 62 6/26/2020

NMO CLINICAL TRIALS PHASE III

63 6/26/2020

It is an anti-C5 monoclonal antibody

Prevents MAC Inhibits C5a generation

Eculizumab Pittock et al., The Lancet 2013
Eculizumab Pittock et al., The Lancet 2013

Eculizumab: phase 3, randomized, double-blind, time-toevent trial

Pittock et al., NEJM 2019

Median time to first adjudicated relapse: not reached (eculizumab) vs. 103 weeks (placebo)

Note: data were censored at end of patient’s time in trial (after a “negatively adjudicated” physician-determined relapse and after discontinuation from trial)

This figure has been adapted for the purposes of this presentation. Copyright is held by The New England Journal of Medicine. CI, confidence interval.

67 Time since randomization (weeks) Patients free from relapse (%) 100 80 60 40 20 0 90 70 50 30 10 0 12 24 36 48 60 72 84 96 108 120 132 144 156 168 180 192 204 211 97.9% 96.4% 96.4% 63.2% 51.9% 45.4% 96 (2:1) 92 (2:1) 83 (3:1) 78 (3:1) 68 (3:1) 60 (4:1) 58 (4:1) 52 (5:1) 46 (5:1) 41 (7:1) 32 (6:1) 24 (5:1) 22 (5:1) 18 (6:1) 14 (5:1) 8 (2:1) 2 1 47 38 30 24 21 16 13 10 9 6 5 5 4 3 3 3 3 1 Number at risk (eculizumab:placebo ratio) Placebo Eculizumab
Primary endpoint: significantly reduced risk of adjudicated relapses for eculizumab vs. placebo
Hazard ratio for relapse, 0.06 (95% CI, 0.02 to 0.20); p < 0.001 Eculizumab Placebo Censored data
PREVENT core trial published in Pittock et al. N Engl J Med 2019; doi:10.1056/NEJMoa1900866. Pittock et al., NEJM 2019
Eculizumab Pittock et al., NEJM 2019
Eculizumab Pittock et al., NEJM 2019

Inebilizumab: anti-cd19 Therapy

Pittock et al., NEJM 2019

Inebilizumab: anti-cd19 Therapy

Cree, 2019

Is IL-6R Blockade an Option for NMO?

• IL-6 is elevated during NMO relapses in serum and CSF

• T cells and monocytes from NMO patients produce IL-6

• IL-6 activates plasmablasts to produce anti-AQP4 antibodies

• Anti-CD20 Abs do not target PBs/cells

• Inhibition of the IL-6R in vitro reduces survival of PBs

Chihara. PNAS. 2011, Varrin-Doyer M, et al. Ann Neurol. 2012;72:53-64., Linhares UC, et al. J Clin Immunol. 2013;33:179-189., Icöz S, et al. Int J Neurosci. 2010;120:71-75., Uzawa A, et al. Mult Scler. 2010;16:1443-1452. . 73

SA237 - Anti-IL-6R monoclonal antibody

➢SA237 is designed to improve pharmacokinetics (PK) by applying “Antibody Recycling technology”

Conventional antibody recycling antibody

Recycling technology

74
Nature Biotechnology, 28, 1203-1207
Tocilizumab
(2010)
IL-6R lysosome cell Bind (pH7.4) Dissociate (pH5.5~6.0)
SA237

SA237 Vs TCZ – Plasma half-life (Phase I single dose study in HV)

Minimum effective concentration = 1mg/mL

(n=12 each)

75
76
77
78

Tocilizumab

JAMA Neurol in press
in NMO Ringelstein,...Chan..., et al.
(Also Araki et al., Neurology 2014)

Treatment algorithm: ?? No guidelines, no consensus…

Tocilizumab

Eculizumab

Therapeutic trials

Mitoxantrone

Cyclophosphamide

Rituximab + steroids

Mild: Aza, MMF (± low dose prednisone)

Severe: Rituximab

80 6/26/2020

Summary

•Rapidly evolving field, clinically/scientifically

•Complex but reliable diagnostic criteria

•Studies difficult (logistics, ethics, methodology): high likelihood to fail

•High unmet need

•Very close to “translation”

•Major implications for understanding of more common disease multiple sclerosis

81

Turn static files into dynamic content formats.

Create a flipbook
Issuu converts static files into: digital portfolios, online yearbooks, online catalogs, digital photo albums and more. Sign up and create your flipbook.
Neuromyelitis Optica by paradigms - Issuu