PDS Life Fall 2019

Page 1


PDS life the

CELEBRATING DENTAL HYGIENISTS...

AS THEY CREATE HEALTHIER, HAPPIER PATIENTS®

Message From the PRESIDENT

Dear PDS ® Teammates,

“We cannot have good general health without good oral health.” – Department of Health and Human Services, Oral Health in America, A Report of the Surgeon General, May 2000

Pacific Dental Services ® is leading the way to create the “Next Generation of Oral Health Care.” The PDS ® platform enables clinicians to provide comprehensive, integrated oral health care focused on the overall health of patients. More than 120 systemic diseases originate in the mouth, and according to the Centers for Disease Control and Prevention (CDC), about half of American adults over 30 years old have periodontal disease. Regardless of whether it’s relational, causal, or corollary, the evidence proves without a shadow of a doubt that oral health has an impact on a person’s overall health.

One of the key areas we can confidently be aggressive in treating is periodontal disease. The American Academy of Periodontology recently updated their diagnosis protocol that aligns with what we have all been learning and teaching the past seven years: the diagnosis and treatment of periodontal disease needs to be much more than pocket depths and bleeding points. Clinicians must include many other factors in order to properly care for their patients.

Comprehensive periodontal care should include bacteria load testing, such as OralDNA® Labs bacterial and DNA testing, family history of systemic inflammatory diseases, APOE genotype, carotid intima-media thickness testing, advanced lipid testing, and maybe even HbA1c testing. In order to properly care for their patients, dentists must integrate their patients’ medical health into their diagnosis.

The integration of dental and medical services has the ability to help people become healthier. The move to the Epic Practice Management system will provide unparalleled opportunities for us as an organization. PDS-supported clinicians will have the ability to coordinate care with other medical providers who serve their patients and their families, closing care gaps and reducing duplication. As the leader in interoperability, Epic will enable PDS to easily exchange data for improved continuity of care across the country. Approximately 65% of adults in America have an Epic health record. Epic will enable caregivers to chronicle their patients’ healthcare journey using the MyChart patient portal. MyChart gives patients and their designated caregivers secure digital access to their health information, enabling them to communicate with providers, schedule appointments, and track the improvements in their health.

Moving to an integrated healthcare record is the biggest, boldest move in the history of PDS and is sure to help us be The Greatest Dental Company in America.

Sincerely,

WHAT’S INSIDE

02 CELEBRATING DENTAL HYGIENISTS

Get an insider’s look at successful hygiene programs in PDS ® -supported practices, and read words of wisdom and gratitude from team members across PDS while exploring the key role hygienists play in providing the Perfect Patient Experience ® .

15 HYGIENE HOOPLA

THE IMPORTANCE OF FINDING A MENTOR

Discover the personal and professional benefits of developing a partnership with a mentor.

18

FACULTY CORNER

ADJUNCT

LASER THERAPY AND THE MOUTH-BODY CONNECTION®

Learn how adjunct laser therapy improves clinical outcomes for the treatment of periodontal disease.

31 GOVERNMENT AND INDUSTRY AFFAIRS

POLICIES AND RESEARCH DRIVE DENTISTRY TOWARDS GREATER FOCUS ON PREVENTION AND WELLNESS

Examine the history behind the dental hygienist role from the first historical reference in 1210 CE through the modern era.

37 NEW OWNER DENTISTS

Meet the Newest Owner Dentists at PDS.

38

NEW OFFICE OPENINGS

With more than 750 PDS-supported practices across the United States, see where our newest offices are creating Healthier, Happier Patients ®

In this edition of PDS Life, join us in celebration of dental hygienists as we honor their contributions to clinical excellence. Get an insider’s look at successful hygiene programs in PDS ® -supported practices and read words of wisdom and gratitude from team members across PDS while exploring the key role hygienists play in getting patients healthier and providing the Perfect Patient Experience ®

2,472

OralDNA Labs Submitted Jan 2019-July 2019

58.09%

Perio Percent Treated/Percent Diagnosed in Jan 2019-July 2019

40,590

VELscope ® Exams Submitted Jan 2019-July 2019

497,312

SRPS Completed Jan 2019-July 2019

59.67%

SRP Retention Percent Jan 2019-July 2019

CELEBRATING DENTAL HYGIENISTS...

AS THEY CREATE HEALTHIER, HAPPIER PATIENTS®

“It’s undeniable. I refuse to be silent, complicit, and worse, an accessory to crimes.... crimes in your mouth. I’m a licensed dental professional, a hygienist, and it’s my responsibility to educate and remind you that those periodontal pathogens and inflammatory byproducts in your mouth spread throughout your body causing inflammation that is killing Americans every day. Scientists from around the world now agree that inflammation is the root cause of all major diseases. It’s my job to help you reduce or eliminate this threat.”

Persistent, systemic inflammation is at the root of several chronic health conditions, including rheumatoid arthritis, Alzheimer’s disease, diabetes, cardiovascular disease, oral cancer, and more. Hygienists in PDS ® -supported dental practices are essential members of their patients’ medical healthcare team and trusted partners in their overall whole-body health.

It’s no longer just about cleaning and saving teeth, but empowering hygienists to save lives.

By leveraging salivary diagnostic testing, committing to the full-mouth probe at every exam, conducting a clear and consistent handoff, and adhering to the clinical culture in treating same-day SRPs and beyond, hygienists are championing change and transforming lives.

The general practitioners and registered dental hygienists in the South Inland Empire and Nevada regions are committed to helping patients elevate their whole-body health. They understand that such priority, rights, and preservation of care must be well established in order to become the provider of choice in the markets they serve. It has been established that one can have a healthy mouth and be sick, but you cannot have a

sick mouth and be healthy. What happens in one’s mouth does not stay in one’s mouth. It spreads everywhere throughout the body. Here are six tips and best practices to spread health and happiness in your practice:

1. Partner with your general practitioners. By focusing on what is best for your patients, you can not only provide excellence in service and experience, but you will also have a hygiene department that is more productive and profitable in the process. The most successful hygiene departments regularly engage new and returning patients with hygiene collaboration as part of the Perfect Patient Experience. We must treat each and every opportunity with the highest respect and value. Our supported owner dentists and practices count on hygienists’ professionalism and energy to deliver the best and most optimal results available. If you are not the biggest hygiene advocate, then who is in your office? Hygienists should be encouraged to lead your next huddle to discuss your action plan for making 2019 your finest year yet. Hygienists, are you reviewing your patients’ complete charts and helping your dentists get their patients back into the chair to get that incomplete treatment done? Dentists, how are you framing your hygienists for success?

2. Once mutual concern has been established, general practitioners must tee up hygienists by communicating effectively to the patient in conjunction with ACC dialogue. It is critical that the referring and diagnosing dentist initiate the treatment plan of SRPs, irrigation, laser, and varnish. Thereafter, we need to see the patient according to the perio maintenance schedule. Don’t forget periodontists, the experts in taking care of your periodontal health. Dentists, remember your hygienists cannot diagnose and need you to initiate this dialogue to frame them for success. It’s best

practice for all dentists to be notified of any patient who does not start immediately. Don’t be tempted to dismiss the patient without letting them see the dentist first.

3. The offices that drive the highest performance usually include hygienists who follow up with the dentists even when they are not asked to be given a good handoff. Handoffs are to be teed up with exact reference to how we treat perio disease (e.g., SRP, irrigation, bacterial decontamination, and varnish) coupled with a reminder to patients that PMVs are an absolute must. It’s important to note that the highest perio served in offices were a direct result of each and every SRP candidate being referred to perio post SRP. Talk to your owner dentist about perio protocol today. Ensure you let the patient know that “Dr. Jones is recommending you see our periodontist or germ specialist, Dr. Balshe.” Refrain from stating “we” and leverage the prescriptive order of your docs.

4. Now is the best time to look yourself in the mirror and ask, “Do I convey seriousness and conviction in both body language and verbal communication when discussing treatment plans to patients?” “What do I love?” “What don’t I love so much that I can work on improving?” “What do I want to start doing that’s working?” “What should I stop doing this year, because it’s not working?” “What do I want to continue doing because I can make it even better?”

5. Do you take ownership of your hygiene program? Hygienists who achieve the best results are also responsible for their schedule. They will confirm appointments, call no shows, and follow up with “left message” patients. Hygienists will call patients post treatment to see how well they are doing, especially in cases when patients had a difficult time during treatment. During downtime, hygienists who drive optimal results go through the Search and Serve and Family Roundup reports daily to bring back patients who have fallen off their perio maintenance schedule or were diagnosed for SRPs and never completed treatment.

6. Hygienists who emphasize a home care regimen for patients recognize the significance of such practice in relation to the frequency we see patients. Patients spend more time brushing their teeth at home. What role do you play to help them achieve their best results?

A successful GP-hygienist partnership must always communicate with all periodontal patients that periodontal disease, while not curable, can be managed. Successful teams share the idea of “once a periodontal patient, always a periodontal patient.” If the patient has a hard time taking the information seriously, explain that his/her situation is the same as when a patient is diagnosed with high blood pressure or diabetes. The physician will always monitor the disease state, even when everything seems to be normal. Don’t underestimate the power of your vision to change your practice. It starts with believing you are the very best hygienist in your market and what you contribute to your patients can fundamentally change not only their oral health, but also their lives. We cannot solve all their problems, but the confidence you can construct by building a healthy mouth can help them create solutions to overcome their own personal adversities and future health challenges. Their lives are dependent on this.

DENTAL

25 years ago, I made the decision to become a hygienist, because dental hygiene would allow me to have a family while making a good living. I also enjoy helping people, and becoming a hygienist gave me an opportunity to do that.

Over the last 25 years, dentistry has changed immensely. What has stayed constant is my desire to help others.

As a hygienist, sometimes I am the first point of contact to discover serious medical issues.

Thanks to proven technology, I have watched the medical and dental communities finally begin to understand one another and make the connection between oral health and whole-body health. It’s exciting, after 25 years, to be part of this new partnership! I am proud to be part of a PDS®-supported dental practice that focuses on The Mouth-Body Connection®, incorporates salivary diagnostic testing into patient care, and continues each and every day to build relationships with Patients For Life®

It’s been said that the greatest judge of a dentist or hygienist is the average health of their patient population.

When it comes to hygiene culture, ask yourself:
“What is my tolerance for gingival disease?”
“How gingivally healthy do I expect my patients to be before I begin to say, ‘This is not healthy. We need to get you healthy’?”

We should have a low tolerance for gingival disease just like we have a low tolerance for leaving decay in a patient’s mouth. Set a standard for how often the full mouth probe is done and hold everyone to it 100%. In my office, every exam or perio maintenance has a full mouth probe recorded. Decide if the dentist or registered dental hygienist is responsible for it. Train your patients to expect you to give them a personal gingival health report card at every cleaning or exam.

As a former dental hygienist and current specialty regional manager, I have had the pleasure of understanding both perspectives of the value dental hygienists bring to PDS®-supported practices.

Dental hygienists are the first line of defense in managing a healthy foundation for the supported dentists within the practices, so they are able to perform the best dentistry possible for their patients.

Hygienists within our organization also lead a strong charge in the belief that the mouth is the window to the body. Known as The Mouth-Body Connection®, patients learn about this concept right in the hygiene chair during their routine visits. Hygienists proceed with a reputation of building strong trust and long-lasting relationships with their patients by following the Perfect Patient Experience® model. This model cultivates an atmosphere that allows clinicians to further educate patients on previous dentistry diagnosed, giving patients an opportunity to move forward with their treatment plan. The hygienists within PDSsupported practices are provided with the proven technology and resources, such as Gemini Laser and salivary diagnostics testing with OralDNA® Labs, which offers a proactive and comprehensive approach to patient care. The environment provided for hygienists within Pacific Dental Services® is one that is unmatched and incomparable to any other outside dental setting.

CREATING A HYGIENE CULTURE WITH SALIVARY DIAGNOSTICS

Salivary diagnostics are valuable tools that should be considered a standard for rendering better care to patients when diagnosing periodontal disease. Long before salivary diagnostics came along, clinicians had to jump through hoops to diagnose whether a patient had an oral infection or inflammation. OralDNA® has made it fast and simple for hygienists to test for bacteria that could threaten the patient’s oral and systemic health, and detect infections that can cause cancers of the mouth or vascular disease.

Almost every patient qualifies for salivary diagnostic testing. Patients who receive this test include:

• Children

• SRP patients

• PMV patients presenting inflammation/BOP

• Patients who present inflammation without bone loss on the gingival scale

• STI or full arch implant cases

• Patients at risk for systemic diseases such as diabetes or cancer

• Patients who are pregnant

For patients who are uncertain about proceeding with their recommended treatment plan, having a salivary diagnostic done can help hygienists and clinicians overcome patient objections. The results of these tests can also aid the patient in managing their oral-systemic health with their physician. Dental practices benefit from salivary diagnostic testing, as it helps increase case acceptance and patient retention in the perio program.

Creating a hygiene friendly culture is one of the first steps to ensure a successful hygiene program in your dental practice.

This includes working side by side with your hygienist. My hygienist is the person who owns the salivary diagnostics and in my office, follows up with the patient. It’s also helpful to create a list of talking points for the clinicians in your office not only to increase case acceptance, but also to ensure everyone communicates the same message of providing comprehensive oral health care to patients.

For more information about salivary diagnostics, visit these helpful resources:

• Visit https://www.oraldna.com/case-study/ to read case studies performed by OralDNA Labs

• Visit https://www.ada.org/en for an informative summary

• Review the “Salivary Diagnostics” factsheet presented by the National Institutes of Health (NIH)

• Visit the National Center for Biotechnology Information (NCBI) to read Saliva as a Diagnostic Tool for Oral and Systemic Diseases

• Explore Salivary Biomarkers: Toward Future Clinical and Diagnostic Utilities, a study by the American Society for Microbiology

You can’t open a dental journal today without coming across an article about the link between oral health and wholebody health, or what PDS ® refers to as as The Mouth-Body Connection®. In fact, the research is overwhelming! We now know that periodontal disease is directly linked to many diseases such as heart attacks, strokes, erectile dysfunction, Alzheimer’s disease, diabetes, dementia, as well as pregnancy complications. As dental clinicians, we have an obligation to provide the best possible oral health care to ensure our patients live heathier, happier lives.

The owner dentists, associate dentists, and hygienists in the Rocky Mountain region are doing just that.

Dr. Katie McCann Lee and her clinical team performed salivary diagnostic tests on over 1,600 patients in 2019.

Together, they are leading the charge with this new technology. They are committed to managing periodontal disease at its earliest stage. Her periodontal protocol recommends that every patient presented with inflammation is provided with an opportunity to be tested. By identifying the specific bacteria responsible for the patient’s active infection, Dr. McCann Lee and her team are able to customize the patient’s treatment plan to suit their individual needs.

Knowledge is power, and with this knowledge, we can build a community of Heathier, Happier Patients® !

Evaluating an office’s hygiene program is one of the easiest ways to determine the synergy of an office team. There are a lot of one and done protocols in our offices, like a crown, root canal, or extraction. Other times, patients receive hygiene treatment between major procedures like crowns, implants and extractions.

Every team member plays a role in preparing patients for hygiene.

If you think of the patient journey through the office, there are a number of hygiene touch points. This starts with the dentist at the meet and greet when we listen to our patients and evaluate their readiness. This is also an important time to frame their visit and set expectations without overwhelming them. Dental assistants help prepare patients during radiographs by setting a tone and introducing them to their initial radiographic findings. Full mouth pocket charting is a must and should be done each time patients are evaluated in the office. A good hand off to the hygienist introduces patients to their diagnoses and important treatment language. The dentist then brings

everything together by reviewing their diagnosis and giving them an overview of the hygiene treatments they will receive to address their conditions. Lastly, during strong BC handoffs, the benefits coordinator reviews each patient’s treatment needs and advocates for the patient to increase the likelihood of same-day starts.

In order for the team to be able to perform consistently for every patient who comes to our office in clinical culture, there must be a documented perio protocol. This needs to be reviewed on a regular basis, challenged as obstacles arise, and reinforced as new team members are added. There are so many different working parts to the system, and breaking these up into smaller bits has proven to be more effective in helping a team develop and grow their system. This can be done on a regular basis during morning huddles, the monthly office meeting, and lunch and learns led by the periodontist. In addition, providers should regularly check in with each other’s pocket measurements to ensure alignment.

A documented perio protocol supported by an engaged team and executed with every patient every time will not only create healthier and happier patients, but it will also increase overall patient retention and result in the execution of the dentist’s diagnosed dentistry.

THE PERIO-ORTHO SYSTEMIC LINK

The perio-ortho systemic link has been clearly connected through the years.

As

healthcare providers, we should focus on both disease prevention and treatment modalities when dealing with periodontal disease.

It is now clear that orthodontic health is vital for periodontal and systemic health. Therefore, orthodontic treatment should be one of the treatment options considered in prevention plans, as well as restorative plans in dentistry. Evidence based dentistry has shown that more than just three millimeters of crowding can be a host factor for periodontal disease. Therefore, preventative treatment to avoid periodontal issues should consist of placing the teeth in proper alignment, including reduction or elimination of crowding. Research has also shown that there is significantly greater plaque accumulation in crowded areas. Interestingly, research also indicates that the bacteria present in crowded areas consistently represents more species of periodontopathogens than bacteria from non-crowded regions. The pathogens are more virulent in the areas that are more crowded because they become anaerobic, meaning they grow in the absence of oxygen. As plaque accumulation increases subgingivally, or beneath the gums, the amount of periodontopathogens increases. 2

https://www.micro-ident.de/en/dentists/periodontitis/risk-factor-bacteria/

Plaque accumulation can favor the transition of microbial biofilm to a more aggressive periodontopathogenic flora in subgingival periodontal pockets and the production of proinflammatory cytokines, MMPs, and reactive oxygen species. When high levels of bacteria are present that cause inflammation and disease processes in the gums, the traditional treatment is scaling and root planing (SRP). However, there are five microorganisms that are SRP resistant: Actinobacillus actinomycetemcomitans (Aa), Porphyromonas gingivalis (Pg), Prevotella intermedia (Pi), Tannerella forsythia (Tf), and Peptostreptococcus micros (Pm). Pg is one of the bacterium most commonly found in crowded regions and is also one of the main culprits in periodontal disease.

If we can reduce crowding, then we can reduce aggressive periodontal pathogenic bacteria, which can subsequently decrease the risk of periodontal disease as well as the inflammatory disease processes in the rest of the body. Our currently preferred options for reducing crowding include traditional braces and clear aligner therapy, such as Invisalign®

https://pmj.bmj.com/content/93/1103/560

The team approach is fundamental in patient engagement and education regarding orthodontics and its role in overall dental and systemic health. The team approach should include educating patients on the benefits of proper alignment of teeth, which will aid them in understanding the value of preventative and restorative treatment, especially when most of the periodontal and restorative care we do could benefit from orthodontic therapy. With proper education, every team member has the ability to educate and engage their patients on potentially life-saving information: the perio-ortho systemic link.

REFERENCES

1Staufer K, Landmesser H. J Orofac Orthop. 2004 Jan; 65(1):13-25. Department of Orthodontics. University of Witten/Herdecke. www.ncbi.nim. nih.gov/pubmed/14748886

2Comparison of microbial composition in the subgingival plaque of adult crowded versus non-crowded dental regions. Chung et al. International Journal of Adult Orthodontics and Orthognathic Surgery. www.quintpub.com/journals/ archive_display_abstract.php3?journalArt-4689

3Gross AJ, Paskett KT, Cheever VJ, et al. Periodontitis: a global disease and the primary care provider’s role. Postgraduate Medical Journal 2017;93:560-565. 4Periodontology 2000. Vol 28. 2002. Jorgen Slots, Miriam Ting.

One of the most important aspects of providing comprehensive care to our patients is periodontal health. Though often overlooked, it is vital to keeping our patients healthy from a whole-body and oral standpoint.

We have a strict periodontal protocol in my office. This begins with a full mouth probe by the dentist during the patient’s initial exam. After the probe has been completed, along with the rest of the exam, most of my discussion regarding treatment is about periodontal health. Patients tend to understand decay and broken teeth. Most, however, do not understand chronic inflammation and the progression to bone loss. That’s why it’s important to focus your conversation with the patient by using layman’s terms your patient will grasp in order to make sure these concepts are not forgotten. Instead of using clinical terms to explain why the patient’s periodontal disease is causing bone deterioration, consider rephrasing it by explaining, “You have a gum infection and your body is trying to fight it. That’s why your gums are bleeding. Unfortunately, this process is slowly eating away the bone that holds in your teeth and we need to get this under control.” Once you have explained the situation appropriately, patients are more likely to say yes to SRPs.

After every SRP in my office, there is a 6 week (one month) perio check with the dentist who diagnosed the original SRP. During this time, we explain our observations to the patient. “If your numbers have reduced and there is less bleeding, we have to keep you in healthy maintenance mode. If there are still numbers that are at a nonmaintainable level, which is 6mm or greater, it’s time to bring a specialist into the conversation to make sure we are taking care of you appropriately.” This is important to make sure your patients understand the severity of what is going on. If it’s time to talk to the specialist, they need to know that before they set a consultation with another doctor. At this time, it’s appropriate to go into detail about the potential procedures that will be necessary. If you need to talk about osseous surgery with your patient, it’s better that they hear it from you, the doctor they trust, rather than a specialist they have never met before.

Building and maintaining trust keeps patients comfortable while ensuring they proceed with the treatment they need.

The providers at Falcon Park Dental Group treat all patients with the utmost of care while educating them about The Mouth-Body Connection®. We are committed to providing a comprehensive periodontal exam per the following guidelines, and we will educate our patients in order to help them make the best decisions to maintain overall health. We will hold each other accountable of these parameters and will not let our patients have untreated inflammation. We are beyond “brush better and floss better,” and we refuse to allow bloody prophies. Periodontal disease does not reverse itself without proper care, and our providers will help our patients get the treatment they need.

The culture of the hygiene program at Falcon Park Dental Group is proactive. We will quit watching and start treating. Our providers will link periodontal conditions to medical conditions and will refer to primary care physicians for unresolved inflammation. We will help our patients understand that bone loss is not a symptom; it is a RESULT. When we see bone loss on an x-ray, it is more destructive than it appears. We will also commit to using salivary diagnostics when indicated. We have committed ourselves to helping our patients understand that we must treat periodontal inflammation before it is too late.

We should prevent bone loss, not watch and wait for it to happen.

Once we established this clinical culture in relation to our periodontal treatment in our office, we see immediate results! My hygienist jumped from a $700 ADP to $1200 in one month’s time. Our periodontal referrals for specialty are up, and both myself and my associate increased our SRP diagnosis two-fold. However, this isn’t about money. We treat our patients with the utmost of care and are committed to helping them be healthier and happier. Even if it results in a referral to a primary care physician or other specialty, our patients are appreciative of our knowledge, time, and individualized care. In addition to creating Healthier, Happier Patients®, we also gain referrals and become more well known in the medical community. It is a win-win!

Integrating salivary diagnostics through the use of OralDNA® Labs has been a great asset to our office. The testing has allowed me to provide a thorough treatment plan for the patient to treat their gum infection locally and systemically.

Many patients we see are already medically compromised with conditions such as heart

disease

or

diabetes,

or are at risk for them. Being able to explain how bacteria can affect these conditions and overall health establishes trust with our patients.

I have seen patients feel more comfortable starting same-day treatment because they value their health. In our practice, we use graphics depicting areas of the body that can be significantly

diseased by bacteria stemming from chronic gum infection. These visuals make it easy for patients to understand the health risks they may face if they do not take control of their well-being. Through conversation guided by these graphics, patients are able to understand that hygiene treatment, including scaling and root planing with laser and irrigation, is truly beneficial.

Salivary diagnostics have also been a useful tool for collaboration with our periodontist by having him deliver the results and prescribe the corresponding antibiotics. This in turn helps the periodontist in educating patients and also encourages patients to return for periodontal maintenance appointments, because they know we as a team are concerned about their oral health. Incorporating OralDNA testing has helped me as a hygienist and our entire team create Healthier, Happier Patients ®

DON’T FORGET ABOUT THE KIDDOS

I was reflecting on my recent trip to Ethiopia with the PDS® Foundation. We observed an epidemic of caries with the kids due to a lack of education around oral hygiene and the extremely limited access to care. While spending our last night debriefing the care provided that day, I asked our guest, David Kochman, Vice President of Corporate Affairs and Deputy Chief of Staff for the Office of the CEO with Henry Schein, Inc.,“What more can we do to make an impact during our trips?” Passionate about helping resolve the distribution issues in Ethiopia, he pointed out that we have a captive audience. When we arrive to the clinic each morning, it is overwhelming to see the hundreds of families who have walked for miles lined up to see a dentist. We are not going to accomplish the 4 for 45 or PPE® with all these individuals and their children, but we can educate them while they are waiting. Our assistants, with the help of translators, can teach and provide oral hygiene instructions and work on preventing future issues. It is not acceptable that an 11 year old needs SRPs because of poor home care. David was spot on with that observation. We have the toothbrushes, thanks to the donation by Henry Schein, and the children sitting there waiting to be seen by a dentist.

David was kind enough to send our CEO, Stephen Thorne, Kyle Guerin, and myself this note upon his return home:

“I was truly overwhelmed in seeing firsthand the deep relationships you’ve developed over the past 10 years – both professionally and personally – along with the immense impact your team’s work has made for the people of Tigray. Among many standout moments was the Mekelle student quietly pulling Steve aside to express how he would not be in dental school but for Steve’s and PDS’ support of the region, the 13 year old girl on which Dr. Rodgers performed life-altering oral surgery, and Kyle addressing joyous rural villagers who congregated to receive our group. The memories of this visit will not soon be forgotten.

I was equally thrilled to spend time with your team. I cannot overstate how much I enjoyed getting to better know every member of this phenomenal delegation, and I’m grateful for the warmth, kindness, and friendship your team showed me. There’s terrific symmetry between our teams’ values, motivations, and outlooks around partnership; it’s clearly no surprise why we’ve successfully worked together for our mutual benefit over many years.

Overall, I feel this was an extraordinary trip in every respect. I want to reiterate commendations to Kyle for his expert coordination throughout our journey. On behalf of our entire team, thank you for this opportunity to partner in Ethiopia and make a unique, meaningful impact on this region.”

In reflection now that we’re back in the states, what does this mean here at home? We have the best group of PDS-supported clinicians, hygienists, and dental assistants across the country. We don't have a supply chain issue, talent issue, or lack the ability to educate our little ones. We do, at times, have an access to care issue, as crazy as that may seem. Our vison to be the Greatest Dental Company in America is a powerful call to action. To achieve this, CCX and PFL™ will lead the way beginning when our patients are young. According to the Centers for Disease Control and Prevention, about 1 of 5 (29%) children aged 5 to 11 years have at least one untreated decayed tooth. 1 of 7 (13%) adolescents aged 12 to 19 years have at least one untreated decayed tooth. We also know the biggest concern for parents is their children’s wellbeing, and as we know, oral hygiene is an important part of their overall health. Opening up access to kids and empowering our dental assistants to teach proper OHI will set them on the right path for a lifetime of excellent oral hygiene.

Opening access to kiddos is good for healthier, happier kids and dental practices.

Dental hygienists play a fundamental role in our lives. Yes, our lives as peers, coworkers, patients and friends. Each hygienist, in their own right, brings an arsenal of passion, integrity and dedication to their craft. Without hygienists, our supported practices would not be complete.

Hygienists play many roles and wear many hats. To our community of patients, they are educators, trusted clinicians, and allies in achieving optimal oral health. To our dentists, they are partners and confidants. To our teams, they are mentors, coaches, and let’s face it, the bravest of us all! Who else gets giddy at the sight of calculus buildup?

On their own merits, successful hygiene programs thrive. From a purely business-minded standpoint, a dental practice cannot bear fruit without a solid hygiene program. There is no shortage of seminars or online courses that teach hygiene as the foundation of a profitable dental practice, but why is that? Could it be because the patient often has more face time with hygienists than anyone else in the practice? Or perhaps because the patient returns specifically to see the hygienist? Or is it something much more intuitive, such as trust?

Trust is the key to creating a profitable structure around a hygiene program. It not only helps retain patients and contributes to disease prevention and management, but it is also the source of word of mouth referrals. Trust helps us capture the true essence of what it means to be humans, as it helps create meaningful connections with one another.

Our patients trust the hygienists to follow through with the dentist’s diagnosis in order

to help them reach their personal oral health goals, which affects their whole-body health. Trust is an instinct. It cannot be commanded or contrived. It is either present or absent.

Our hygienists are masters of creating that bond with our patients, and for good reason! People tend to “get real” with their hygienists. All boundaries are erased and before the anesthetic kicks in, their life story has been shared. There isn’t much about dentistry that is particularly pleasant (aside from our charming personalities, naturally), and our hygienists know this. I often walk by a hygiene operatory to hear giggling and laughter. I see our hygienists greet our patients in the reception area with genuine warmth and kindness. I have even witnessed patients hugging and crying tears of happiness with our hygienists.

How do you get patients to make room in their busy lives for the sole purpose of visiting you every three to four months to hang out and have their teeth scraped for 40 minutes? By becoming an expert at building relationships, of course! Not only do the patients return to see their hygienists, but they also return to see their dentists, which leads to additional opportunities for our patients to complete more of the dentistry they need. And it all begins with trust.

Thank your hygienist every day and at every chance you get for building trust and valuable bonds with your patients.

Without that hardworking, tough-as nails, powerhouse in your practice, it likely would not be what it is today.

THE IMPORTANCE OF FINDING A MENTOR WHO TEACHES

Whether you are a new or a seasoned hygienist, a mentor can help improve your skillset as a clinician and PDS® team member. A mentor can teach you how to navigate the clinical environment, understand best practices, and offer support when finding solutions to challenges.

As new hygienists, we emerge from our education ready to take on the world, but for some, adjusting to clinical practice can be difficult. Our education taught us the competencies necessary to become a hygienist, but now what? Once we enter clinical practice, everything changes. We are now expected to complete in an hour what we used to do in two and a half hours while maintaining a high standard of care, establishing a relationship with the patient, and making recommendations to ensure they stay healthy. When I first started clinical practice, I had no idea how to improve my clinical efficiency, and I was afraid patients would say no if I recommended something that wasn’t covered by their insurance. All of this changed when I found my first mentor.

My first mentor taught me to be a better clinical hygienist and team member. She did this by helping me understand the “whys” behind what we do. Whenever I had a difficult day, she would advise me to find solutions in order to improve the situation. When best practices weren’t being followed, she taught me how to communicate what we should change. If I had a difficult time making recommendations to patients, she taught me how to better articulate the importance of those recommendations.

As I became a more seasoned hygienist, new mentors taught me to adapt to new situations. For more seasoned hygienists,

having a mentor is valuable because we always have more to learn. New methods and best practices are emerging constantly, and we need to know how to best utilize them to care for our patients. In addition, a change to a different practice model can create a situation in which you don’t understand the culture, protocols, or systems of your new office. Having someone to teach you new technologies and environments makes it easier to reach full potential and provide superior patient care.

One of the advantages of working in a PDS-supported practice is the network of hygienists who practice in an environment similar to yours. I encourage you to take full advantage of that network. This is one of the first places to look for mentorship. It can be as easy as starting a conversation with a colleague doing something differently and experiencing success. Ask them what they are doing, why, and how. Then be open to learning something different that could help improve patient care. It is through mentoring relationships that clinicians lead clinicians in clinical excellence and create Healthier, Happier Patients®

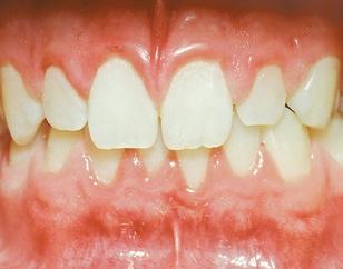
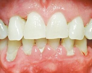
How healthy is your smile?

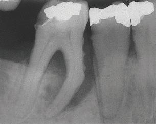
Stage IV –Severe Periodontitis

The American Academy of Periodontology (AAP) released a comprehensive update for the classification and documentation of periodontal and peri-implant diseases and conditions. This comprehensive update was developed and implemented because of the overwhelming information confirming the link between oral health and whole-body health. The first update the dental profession has seen since 1999, the updated classifications include a framework for staging and grading as well as defining the distribution of disease.

The staging consists of the severity of the disease and the complexity for disease management, while the grading defines the rate of progression, a patient’s overall health, social habits, and the expectation of how well the disease will respond to treatment. Distribution expresses if the disease is localized or generalized.

This new classification and documentation of periodontal disease takes into consideration a patient’s current oral condition, health history, and risk factors. This information helps assess how serious an infection in the gingival tissue and underlying bone can be for a patient’s oral health and whole-body health.

THE AMERICAN ACADEMY OF PERIODONTOLOGY UPDATES DISEASE CLASSIFICATIONS

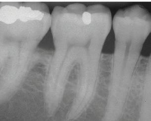
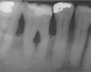
Recognizing and treating periodontal disease in its earliest stages results in better patient outcomes and has been shown to positively affect the long term whole-body health of patients. Early disease recognition and management can only be accomplished by performing a thorough comprehensive exam which includes, but is not limited to, an oral cancer exam, full mouth pocket charting, and radiographs with a clear view of the interdental crestal bone. As clinicians, we know radiographic bone loss, no matter how minor, is a result of a long-standing infection in periodontal tissue.

Tools for understanding the updated AAP classifications of periodontal and peri-implant conditions can be found via PDS ® Connect Online on The Mouth-Body Connection® homepage.

Here’s to Healthier, Happier Patients® !

PDS ® DENTAL IMPLANT LIVE SURGERY PRECEPTORSHIP ™ CREATES HEALTHIER, HAPPIER PATIENTS ®

We believe that we have the obligation and the opportunity to present the best dentistry possible to each and every patient. For our patients with missing teeth, familiarizing ourselves with the best options suited for their unique needs is our distinct imperative. Knowledge, proficiency, and experience matters in everything we want to do at masterful level. As such, the ability to provide quality implant services should be at the top of our list.

Patients today are eagerly investigating the best options for their missing dentition. Looking for convenience, price point, and longevity, our patients actively seek better replacement options. At the same time, our dentists are becoming more and more ready to have those conversations. 2018 marked the first year at Pacific Dental Services® in which supported dentists diagnosed and provided more dental implants than 3-unit bridges.

Within each of our practices, the ability to provide restorative options for implants and also make available surgical options for implant placement helps create Patients For Life™. Focusing on treatment planning and developing

the technical ability to provide such services requires a commitment to lifelong learning. From online on demand CE courses to live surgery residencies, PDS ® -supported dentists have a variety of ways to gain the knowledge and experience to provide the best care for their patients.

In seeking to advance their services, PDS-supported dentists in the Northern California region participated in a comprehensive live surgery implant mini-residency program. Through sponsorship with our strategic business partner, Nobel Biocare ®, the PDS Dental Implant Live Surgery Preceptorship™ was taught by owner dentist, Dr. Jedediah Huss. The five month program provided comprehensive, didactic, and practical hands on experience, including atraumatic extraction, socket preservation, CGF/PRF, sinus lift, ridge augmentation, soft tissue management, suturing, and implant placement.

In conjunction with local dental labs, our supported dentists collaborated with experienced lab technicians throughout the entire residency. Offering services from digital smile design and surgical guides to single

and full arch restorations, Beacon Bay Dental Lab provided comprehensive educational and treatment planning elements for the program.

Throughout the eight day course, nine PDS-supported owner dentists placed 156 dental implants totaling more than $400,000 in donated surgical services for those in need. Following the live surgery component, each PDS-supported owner dentist brought back to their practices the skills and knowledge developed through the residency in order to better serve their community of patients.

DR. BEVAN SHOGHI FAREID Owner Dentist
DR. ISAAC NAVARRO Owner Dentist

ADJUNCT LASER THERAPY AND THE MOUTH-BODY CONNECTION®

“According to the Centers for Disease Control and Prevention, almost half the adult population older than 30 years has periodontal disease (PD). A majority of the affected population falls in the range of moderate to severe PD.2 The deleterious impact of chronic inflammation has become a large area of research. As more is understood about what initiates the inflammatory cascade and systemic effects of chronic inflammation, the medical profession has begun to look differently at conditions such as heart disease, diabetes, autoimmune disorders, and certain cancers.”1

Atherosclerosis has been connected to infectious, autoimmune, and inflammatory factors. In their review of studies connecting cardiovascular events and PD, Bale, Doneen, and Vigerust stated that PD caused by high risk pathogens may be considered a contributory cause of arterial disease. They also postulated that the dental community has a substantial opportunity to mitigate the effects of this significant source of morbidity and mortality by elucidating feasible, effective management of PD.3

Dental professionals have several approaches to better manage chronic PD in their patients. Many of these methods can be used to more effectively treat PD, including salivary testing, systemic antibiotics, new antimicrobial products, and lasers. For patients diagnosed with PD, SRP is the gold standard of care and initial nonsurgical management of disease.

The goals of nonsurgical periodontal therapy are: 1 2 3 4 5

Remove biofilm, calculus, and diseased cementum from the crown and root surfaces of teeth

Minimize intrasulcular bacterial activity

Halt apical migration of the epithelial attachment

Minimize pocket depths

Establish a healthy oral environment the patient can easily maintain

SRP alone may not reduce the bacterial load present,because tissue-invasivepathogens associated with PD reside in the subepithelial tissue. The pathogens are not necessarily destroyed by mechanical debridement performed during SRP. These gram-negative anaerobic bacteria are not only persistent but are also colonized in areas difficult to access with hand instruments.

The following common bacteria are generally resistant to SRP:

• actinomycetemcomitans

• P. gingivalis

• P. intermedia

• P. micros

This is notable because bacteria from the mouth can enter the bloodstream.

According to Bale et al, the most common oral bacteria associated with atherosclerotic lesions are A. actinomycetemcomitans and P. gingivalis. Both are also associated with aggressive forms of PD. They are tissue-invasive and pathogenic, even at low bacterial counts.

As the medical community becomes more familiar with the oral-systemic link and the role bacteria play in both chronic PD and overall health, clinicians need to look beyond SRP alone and incorporate lasers for PD treatment. Patient care should be developed from a comprehensive treatment plan that suits individual needs. The need to reduce bacterial count in the periodontal pocket is evident, making lasers as an adjunct to SRP an excellent treatment option.

Successfully integrating lasers into a dental practice’s periodontal protocol begins with a solid explanation and frameup of PD. The patient must understand the benefits of periodontal therapy and adjunctive services. Fortunately, patients frequently hear about lasers in medicine. Studies show the majority of patients believe lasers will make their visit to the dentist easier, but they will have questions about the laser.

Many clinicians will benefit from using lasers in their hygiene protocol, which can be an intellectually stimulating and productivity boosting addition to the dental practice. Diode lasers also provide oral health benefits to patients.

The most common patient questions regarding lasers include:

• Does the laser hurt? When using the laser for SRP procedures, whatever anesthetic is used for the SRP will be sufficient for the laser. Often, patients will not need anesthetic for laser therapy. Generally, using a laser for periodontal maintenance appointments will not require anesthetic. However, if a patient is concerned about sensitivity, the author has found that a topical anesthetic works well.

• How much will it cost? When lasers are used as an SRP adjunct, cost can vary significantly. It is best for a clinician to devise the fee based on the customary fees charged in the particular geographic location or practice style.

• Will insurance cover the procedure? Often, insurance does not cover laser use as an SRP adjunct. Some insurance plans consider laser therapy an inclusive part of the SRP procedure. For those who must pay for the additional service, the cost tends to be affordable.

By understanding the science and technology behind lasers, in addition to important factors such as the oralsystemic impact of PD, laser healing properties, and tissue interaction, clinicians can effectively incorporate laser use into their office procedures. This service requires a team approach, careful product selection, thorough training, and excellent patient communication.

REFERENCES

JENNIFER TUMLINSON

Hygienist and Faculty Member

PDS University ™ – Institute of Dentistry

1. Jennifer Tumlinson, RDH, “Getting Started With Lasers in Hygiene”, CDEWorld, https://cdeworld.com/ebooks/getting-started-with-lasers-in-hygiene, 2019.

2. “CDC: Half of American Adults Have Periodontal Disease”, Perio.org, American Academy of Periodontology, 2012, https://www.perio.org/consumer/cdc-study. htm#OverlayWrapper/0/, (8/13/2019).

3. Bale, Doneen, Vigerust, “High-risk periodontal pathogens contribute to the pathogenesis of atherosclerosis”, The BMJ, 2016.

STRUCTURE FOR A HEALTHY HYGIENE PROGRAM: THE FIVE STEP PROCESS

Did you know that periodontal disease is the most prevalent form of chronic inflammation in the human body? Studies linking periodontal disease and its impact on systemic health are increasing daily. We can’t sit back and not act on the information we have.

PDS® -supported dentists and hygienists in applicable states own and drive the hygiene programs in their practices. It is imperative that we are proactive in order to help our patients be healthier and happier. Below is the structure and key steps to a healthy and successful hygiene program for PDS-supported practices.

PERIODONTAL PROTOCOL

Define, document, and communicate your periodontal protocol, hygiene standards, and nonnegotiables in your office.

FULL-MOUTH PROBE

The full-mouth probe is performed during a comprehensive exam as part of the patient baseline data. The most successful dental practices will perform the full-mouth probe at every CCX exam. For patients in a periodontal maintenance program, it is considered a best practice to obtain the full-mouth probe at every periodontal maintenance visit.

• Create alignment with your team by discussing proper angulation of the probe.

• Frame the full-mouth probe exam and explain to the patient what the numbers mean as you call them aloud to be recorded. This allows your patient to co-diagnose their periodontal condition.

• Calibrate expectations and verbiage with the dentist, hygienist, and periodontist.

DIAGNOSIS

A thorough assessment of each patient’s periodontal health is a key component of the comprehensive exam. When the full-mouth probe is performed by the dentist as part of the comprehensive exam, patients have a better understanding of the importance of periodontal health and accept necessary treatment more readily.

VERBIAGE

“ Mrs. Jones, next I’m going to measure the health of your gums. Listen to the numbers as I call them out loud for my assistant to record. 1s, 2s, and 3s are considered normal. Anything 4 or greater can be a sign of infection. I will also check for inflammation. Healthy gums don’t bleed!”

Involving the patient makes the diagnosis less of a surprise, results in better patient understanding, and increases the effectiveness of your awareness, consequences and concerns dialogue.

What is it?

“Mrs. Jones, you have an infection in your gums called periodontal disease.”

i.e. Medical doctors do not put patients on insulin without telling them they have diabetes. You must inform your patients about what they have.

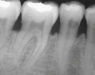
Bone Loss

ADJUNCT THERAPIES

It is well documented in the clinical literature that initial nonsurgical treatment for periodontal disease begins with scaling and root planing. It is also well documented that patients have a better opportunity for healing when therapy to reduce the bacterial load in the periodontal pocket and adjacent soft tissue is used in conjunction with mechanical debridement. (Diode lasers, irrigation, fluoride)

SPECIALTY REFERRAL

The dentist has the ultimate responsibility for patient referral to any specialty. If the dental hygienist identifies a need for referral, the hygienist must bring this to the dentist’s attention prior to the dentist or hygienist discussing the referral with the patient. As with any referral to specialty, be sure to refer to the specialist by name and assure the patient that they will receive excellent care.

It is important to evaluate this structure in your practice and determine what is going well and where there are areas of opportunity. In order to recalibrate, it is suggested to review key metrics and meet with your team to discuss current state and goals as well as share the “how to’s” relative to executing the periodontal protocol. Clinicians should partner with regional managers and operations managers to support them in driving their standards and best practices for the most efficient execution. The team should also determine what accountability should look like, so obstacles can be navigated appropriately.

Visually show bone loss through the patient’s own X-rays and/or the educational poster

Pockets

Demonstrate probing depth by placing the probe into a deep pocket while the patient views with a hand mirror.

Bleeding

Show patient bleeding in their own mouth.

“We manage this infection in a three step process.”

1. Scaling and root planing removes the debris attached to the root surfaces of your teeth that harbor a potion of the bacteria responsible for the infection.

2. The anti-microbial irrigation flushes the free floating bacteria and debris from the infected pocket.

3. The heat generated by the laser kills the bacteria that infects the gum tissue and decontaminates it.

Perio Maintenance Visit or Perio Referral

Dental Assistants: Masters in the Art of First Impressions

Dental assistants are vital team members of each PDS ® -supported practice, committed to continuously seeking and providing exposure, experience, and education to the communities they serve. Masters in the art of first impressions, dental assistants provide exceptional experiences chair side to our patients. Dental assistants go above and beyond every day, every hour to educate both themselves and patients.

During 2019, dental assistants in PDS-supported practices were challenged to maximize their effectiveness by elevating their performance as healthcare professionals through exposure, experience, and education. Join these extraordinary dental assistants as they share their stories with you.

Lauren Ellis, lead registered dental assistant, shares, “I continually seek education to provide insightful and detailed explanations to each and every patient. As dental assistants, it is our job to properly educate our patients so they accept treatment. Educating patients on preventative treatment is key to ensure each and every patient receives the best dental treatment for their individual concerns. Educating patients on periodontal disease and the link to stroke, heart attack, and diabetes has been key in supporting clinicians in delivering the best dentistry possible.”

As a lead registered dental assistant, Nancy Maguire’s goal is to educate patients in the community and provide an exceptional experience in which she not only helps patients achieve optimal oral health and wellness, but also fulfills a purpose to serve the greater good. Nancy has established lasting relationships within the communities she serves and continuously connects with patients to create something special.

Griselda Prado, lead registered dental assistant, explains, “Everyone comes to the dentist to get things fixed, but it’s our responsibility to focus on educating our patients chairside on new and modern advancements in dentistry in order to achieve a healthy routine for future prevention. Research has shown a strong connection between oral and whole-body health, so we continuously educate ourselves and the communities we serve about this connection.”

Savanah Greenhalge, lead registered dental assistant, says, “The success of our dental assistants is vital to the success of our PDS-supported practices. After being in the dental industry for ten years, now more than ever, we are integrating The Mouth-Body Connection® and systemic health through ongoing education for both ourselves and our patients.”

A smile is powerful. It spreads joy, breaks down guards, and calms us. Most importantly, a smile is contagious. Mother Teresa once said, “Every time you smile at someone, it is an action of love, a gift to that person, a beautiful thing.” Smile Generation Serve Day allows patients in need across the country to receive a smile, so they can pay it forward to others, bringing kindness and love to strangers around the world.

This year, so many of you came together to give a priceless gift to more than 3,000 people. Thank you for sending the gift of a smile, an act of love, to so many. Since Smile Generation Serve Day began, you have helped over 18,000 people receive a healthier, happier smile. Following this 9th annual national day of service, we want to thank each and every one of you for taking the time to serve those in need and make a difference. You never know who will be the next recipient of your gift. For all we know, the gift of a contagious smile could travel around the world.

3,000+ PATIENTS SERVED

$7+ MI LLION DOLLARS IN DONATED DENTISTRY

CONTINUING SOMETHING SPECIAL: WELCOME, DR. BEN WACHTER

In March, the Pacific Dental Services® Foundation opened the Pacific Dental Services Foundation Dentists for Special Needs clinic in Phoenix, Arizona, increasing access to care for patients with special needs. The clinic was launched under the leadership of Dr. Jacob Dent of Houston, Texas. Dr. Dent would generously travel each week to Phoenix to see patients and provide leadership to get the clinic off the ground. We knew this would be for a season, and we’re grateful for all Dr. Dent provided to get this clinic started. Now, we are proud to welcome and announce our new full time clinician to the special needs clinic: Dr. Ben Wachter.

Let’s take a minute to get to know Dr. Wachter, a native of Arizona. Dr. Wachter graduated from Arizona State University with a Bachelors of Science in Business Management. Dr. Wachter studied under Dr. Maureen Munnelly Perry, former President of the Special Care Dental Association. “Dr. Wachter has a huge heart for patients with special needs and a thirst for learning. I know he’ll do great things at the Dentists for Special Needs clinic,” shared Dr. Perry. Dr. Wachter currently serves as the United States council member for the International Association for Disability and Oral Health. He earned his Doctor of Medicine in Dentistry at A.T. Still University in Mesa, Arizona. Giving back to the community has always been a priority for Dr. Wachter. Every year, he participates in Special Olympics events providing oral health screenings and volunteers as a dentist at the Arizona Mission of Mercy annual event. He also provides dental care to underserved communities outside of the U.S, including working with Latin World Ministries in Atoyac, Mexico. He most recently traveled to Uganda as a dentist with Medical Teams International at the Nakivale refugee camp.

“It is my honor to work with patients from all backgrounds and walks of life,” said Dr. Wachter, who holds memberships with the Special Care Dentistry Association and American Academy of Developmental Dentistry and Medicine. “With six years of providing dental care for the special needs community and extensive training in adaptive techniques, I have been highly successful in providing quality dental care for every patient.” Dr. Wachter added, “I look forward to offering my experience at the PDS® Foundation Dentists for Special Needs clinic. With dignity and respect, I will uphold the standards of care in dentistry.”

We’re thrilled to welcome Dr. Wachter to the team. If you happen to be in Arizona, stop by, say hello, and check out all the great things happening at the PDS Foundation Dentists for Special Needs clinic.

Dr. Wachter getting to know his new patient and her autism service dog. The patient’s mom shared, “I’m still overwhelmed with excitement and relief that such a challenging situation went so well!”

GUATEMALA

Comprised of more than 300 islands landscaped with lush tropical forests and white sandy beaches, Fiji embodies the value of culture, nature, and faith. The prevalence of caries and periodontal disease in Fiji is unsparingly rampant. Untreated disease causes anguish for the young and is evident in the unmet dental needs persisting through generations. Fijians lack access to care and are in much need of oral health education. It is our professional and moral responsibility to help people understand that dental care is essential to overall health. We must work together to make dental care more accessible, especially to tribal communities.

This past June, in partnership with the Mission at Natuvu Creek,15 PDS® team members served 365 patients in five days, providing $109,257 in donated dentistry. Team Fiji 2019 exhibited a dynamic workstyle and effective teamwork by forming honest relationships, having open communication, and sharing a passion for generating healthier, happier smiles.

Thank you to the following team members who participated in the trip to Fiji:

Dr. Alex Sharifian, Dr. Janice Lising, Dr. Robert Fechner, Dr. Stacie Fechner, RDH Donna Beister, RDH Armando Aranda, LDA Jerry Melendrez, DA Kristen Petersen, Carli Kingsley, Dave Gaspar, DA Sandra Ruiz-Gaspar, Chuck Beister, Paddi Sharifian, Cameron Sharifian, and Ethan Sharifian

This past April, volunteers traveled to Xenacoj, Guatemala, home to the Pacific Dental Services® Foundation Dental Clinic, to serve patients in need. A dedicated team of PDS-supported clinicians and team members provided more than $195,000 in donated dentistry to a record 221 patients.

Thank you to the following team members who participated in the trip to Guatemala: Dr. Marisol King, Dr. Bryan Graziano, Dr. Deepika Dhama, Dr. Afshin Habashi, Dr. Thomas De Siena, Dr. Holly Hinderberger, DA Aaron Stephens, DA Kristen Petersen, RDH Mardel McWillis, OM Alicia Masteller, Sanya Dhama, Shayda Habashi, and Dr. Saniya Setia

If you are interested in learning more about serving internationally with the PDS Foundation, please email InternationalTrips@pacden.com

THE LITTLE THINGS MATTER!

Little things are actually a very big deal when it comes to the actions required to strengthen relationships. At our annual PDS® Marriage and Relationship Experience, women are asked for lists of the little actions that make a big deal in their romantic relationships. Here are some samples of what they said:

Taking initiative... seeing what needs to be done and doing it.

Knowing my favorite radio station and turning it on when I’m in the car.

Occasionally surprising me and bringing home my favorite drink.

Randomly making our bed while I’m showering or getting ready.

Holding the baby when my spouse gets home from work.

Complimenting me about the job I do with the kids.

Telling me I’m pretty even when I’m not dressed fancy.

Noticing when I’ve changed my hair or am wearing something new.

Calling me during the day just to ask how I’m doing.

Bringing me small, inexpensive gifts. 11 12 13 14 15 16 17 18 19 20

Writing cards with words of love (I’ll treasure these forever, seriously).

Helping out with chores without me having to ask.

Leaving me alone when I’m reading a good book.

Planning a surprise date (even a FREE picnic would be fine).

Watch a few minutes of a TV show my spouse doesn’t like just to be with me.

Surprising me by offering to drive the kids to school.

Calling on the way home to see if anything needs to be picked up.

Be my cheerleader in front of our kids and friends.

Occasionally empty the dishwasher.

Listen to me without being on the laptop or phone.

Note: The women weren’t asking their partner to cure cancer, paint the house, or write a book on romance.

Refreshing a relationship can happen when some small actions reemerge as priority. If your relationship is a little off course, it’s never too late to course correct by returning to the little things today.

For more information about the Marriage and Relationship Experience, visit marriageandrelationshipexperience.com.

METLIFE® BENEFITS CREATE HEALTHIER, HAPPIER TEAM MEMBERS

MetLife is a great company benefit offered by Pacific Dental Services® to all eligible team members. Through the MetLife program, the following are offered at discounted rates.

Auto & Home Insurance

Be financially prepared for the unexpected. Without the right coverage, an accident or storm can be devastating to financial wellbeing. MetLife Auto insurance provides discounted coverage for cars, boats, motorcycles, and recreational vehicles. MetLife Home insurance provides quality coverage on home, landlord, rental, and personal excess liability policies.

Simplify your life by insuring auto and home policies together. Manage just one policy package, receive just one statement, pay just one bill, and pay just one deductible. MetLife offers two packages:

• Combo Package – Get great protection while saving time and money.

• Grand Protect Package – Obtain a higher level of coverage that goes beyond the MetLife standard policies.

Voluntary Legal

Quality legal assistance can be pricey, and it can be hard to find an attorney you trust. With MetLaw, provided by Hyatt Legal Plans, a team of top attorneys are ready to help manage life’s planned and unplanned legal events

With MetLaw, all eligible team members and eligible spouses and dependents can receive fully covered legal services for a wide range of personal legal matters, because no matter how old you are, you have legal needs. Here are some common legal issues for each generation:

18-34

• Dealing with credit card debt

• Resolving landlord disputes

35-50

• Refinancing a home

• Adopting a child

51-69

• Preparing for a tax audit

• Selling a home

• Marriage agreements

• Buying a first home or condo

• Legal help for a child at college

• Preparing a will

• Resolving ID theft

• Arranging care for an elderly parent

For more information, visit info.legalplans.com and enter code Legal or call 800-821-6400.

Veterinary Pet Insurance

Vet visits can be expensive. On average, pet owners spend $611 per year per pet on healthcare expenses. Pet insurance fulfilled by Nationwide makes it easier tobe prepared. From wellness care to significant medical incidents, pet insurance is the smart way to protect your pet’s health – and your pocketbook.

Key Features:

• Policies available for dogs, cats, birds, reptiles and exotic pets.

• Choose from three plan options designed to fit your needs and budget.

• Preventative care benefits include exams, vaccines, flea prevention, and more.

• Chronic conditions are covered.

• Freedom to use any vet, anywhere.

• Includes 24/7 access to vethelplin ($150 value).

• Simple claims process: 1) Visit your vet. 2) Send your claim. 3) Receive your check.

Nose to tail coverage for hundreds of conditions including:

• Ear infections

• Skin rashes

• Cancer

• Diabetes

• Vomiting

• Kidney and bladder infections

• Accidents and more

Call 800-438-6388 for a free consultation and quote.

YOUR HEALTH COVERAGE: QUALIFYING LIFE EVENTS

Life can be hectic after major events, and we often wonder what steps to take next. To ease your transition, eligible dependents may be added or removed from a PDS® benefits plan, including medical, dental, and/or vision, during open enrollment or within 30 days of a qualifying life event.

Examples of qualifying life events:

• Birth of a baby, adoption, change in custody, or court order

• Marriage or new registered domestic partner status

• Divorce or legal separation from spouse or domestic partnership

• Spouse has a change in employment and gains or loses coverage

• Death of a dependent

As a reminder, if you experience a qualifying life event, you must initiate and complete your enrollment changes within 30 days of the event, or you will be required to wait until the next open enrollment to make changes to your plan.

For questions regarding qualifying life events or to make changes to your benefits elections, contact a PDS Benefits Advocate at 877-536-8693.

AN IT FOUNDATION FOR THE FUTURE

We have had a monumental year so far with buildouts in the technology space. I am pleased to announce we are on track to move into the second half of 2019 with the Epic build and related projects. Alpha and beta Epic office deployments have been established, and we expect a full implementation schedule soon.

Investments in the network continue extensively, and each and every office will be upgraded this year as planned with cutting edge SD-Wan appliances. This means our supported practices will enjoy faster speeds and

state of the art failover when one of the two connections fail.

We are also excited to finalize the last round of our text messaging product, which will enable offices to text on an approved platform. If you would like this technology in your office, please submit an IT help ticket via the PDS ® Service Desk.

Online scheduling continues to advance with specialty inclusions in delivery. In addition, we look forward to sharing more information about Artificial Intelligence (AI) in the coming months.

PDS CONNECT ONLINE: A NEW LOOK AND FEEL COMING SOON TO THE INTRANET

We asked. You answered. We heard you and did something about it!

The following improvements are coming soon to the intranet:

• Enhanced search features.

• A new look and feel – Bid farewell to the retro 80’s vibe.

• Improved usability and personalization.

• Find what you need, when you need, it at a faster speed.

The new intranet will roll out in Q4 2019. We cannot wait for you to enjoy the new experience.

It is going to be a transformational year in ensuring an IT foundation that will set us up for the future. We are ready for an Epic 2020.

POLICIES AND RESEARCH

DRIVE DENTISTRY TOWARDS

GREATER FOCUS ON PREVENTION AND WELLNESS

In a comprehensive History of Dentistry timeline, The American Dental Association ® (ADA) states that in 1210, France made a distinction between those who performed complex surgical procedures and those who performed more routine preventative services. It wasn’t until 1400 that policies were adopted to formalize a defined scope of practice by level of education.

WITH RECENT CLINICAL STUDIES CONFIRMING THE LINK BETWEEN ORAL HEALTH AND WHOLE-BODY HEALTH, THE ROLE OF DENTAL HYGIENISTS IN PREVENTION AND WELLNESS IS BECOMING EVER MORE IMPORTANT IN PROVIDING COMPREHENSIVE HEALTHCARE.

In 1840, the world’s first dental school was founded in Bainbridge, Ohio. In 1913, Connecticut opened the first dental hygiene school at the University of Bridgeport. The first dental hygienist began practicing the very next year, with literature stating, “legally providing prophylaxes.” In 1917, Irene Newman

became the first licensed dental hygienist. Today, there are more than 185,000 dental hygienists in practice, graduating from more than 300 dental hygiene programs that offer associate, bachelor’s, and master’s degrees in dental hygiene.

With recent clinical studies confirming the link between oral health and overall health, the role of dental hygienists in prevention and wellness is becoming ever more important in providing comprehensive healthcare. A recent article in Connecticut Magazine makes just that case, stating good oral hygiene in childhood might prevent adult diseases. Perhaps the government knew this when they included dental coverage for children in the Affordable Care Act. The Surgeon General will be looking at this, as well, as he reviews and updates the two decades old report on oral health in America, to which PDS ® and the Association of Dental Support Organizations® (ADSO) are contributing.

Last year, the ADA finalized accreditation standards for dental therapy programs. It was a bit late, considering in December of 2018, Michigan became the eighth state to authorize dental therapists (AZ, ME, MN, VT, and tribal communities in AK, OR, WA). Recently, ID, MT, NM, CT, and NV approved legislation. Five additional states pursued midlevel provider legislation, including FL, KS, MA, ND, and WI.

The American Dental Hygienists Association says that all but eight states allow direct access, which means that, in certain settings, dental hygienists can initiate treatment based on their assessments of patient needs without specific authorization from a dentist. The Oral Health Workforce says eleven states allow direct access for prophylaxis. All but fifteen states allow hygienists to use lasers for decontamination of periodontal pockets, and only five states don’t yet permit hygienists to administer local anesthetic or nitrous oxide.

The American Teledentistry Association (ATDA) held their first meeting this year with a mission “to increase access to dental care through advocacy for and the implementation of innovative teledentistry guidelines and solutions.” They’re lead by Dr. Marc Ackerman, Director of Orthodontics at Boston Children’s Hospital and Assistant Professor of Developmental Biology at Harvard School of Dental Medicine.

The Pinnacle Club is awarded to top regional directors, regional managers, specialty regional directors, specialty regional managers, and support center leadership based upon NOI and other key performance indicators. From July 11-14, 2019, each winner received a luxurious trip for them and a guest to the Rosewood Mayakoba Resort in Playa Del Carmen, Mexico.

The President’s Club is awarded to top producing owner dentists, associate dentists, specialists, orthodontists, and regional partners. From May 2-5, 2019, each attendee enjoyed an all-expense paid trip for them and a guest to The Resort at Pedregal, an exclusive experience in Mexico where desert beauty meets the sea.

The OM Champions Club is awarded to top performing operations managers based upon a set of key performance indicators. From September 12-15, 2019, each winner traveled with a guest to the beautiful Pendry Resort in San Diego, California for an all-expense paid weekend of fun and relaxation.

Around the PDS® FAMILY

“The Eden Prairie team starting their day with a smile“

“Dr. Arora and team are all smiles this summer“

“All cheers and hugs at the Oxnard 3 ribbon cutting“

“The Clovis team enjoys a fun Hawaiian day“

“Houston 3 had a great time meeting everyone at the Farmer Brothers health and wellness fair “

“New doctor day at Durango“

“Fort Myers and RBOT Erika believing in the power of teamwork“

“Sunday fun day with the River Cats in Sacramento“

“Carlsbad 1 celebrating another successful week of providing the PPE with a fun team building event“

“Dr. Jung attends the Warrenton Father’s Day car show and supports his team by helping them make new friends”

“Dr. Bolak and the Snohomish team had so much fun connecting with their community during Kla Ha Ya Days“

“St. Paul out doing B2B“

“OHI at LaPetite Academy“

“The Glendale, CA team opens their doors to new patients“

“OM Rachel, BC Rachel, and Dr. Chase had fun supporting Fairfax Little League opening day! Check out their cool banner“

“Sacramento happily celebrated the grand opening of their office“

“Mission Hills begins collecting backpack donations“

“Bernardo Heights is happy about Christmas in July donations“

“The San Diego region supporting Operation Homefront’s Backpack Brigade“

“Dr. Childers welcomes the periodontics program supported by Dr. Pappaterra to Palm Beach Gardens“

“Central Valley clinicians celebrating their culture of teamwork“

“Visalia 1’s Dr. Fareid enjoyed celebrating his 30th birthday with his office“

The June 2019 edition of PDS Life incorrectly stated the 2019 XP Gala honoree for Most Improved Office of the Year. The award was presented to office #197, Chino Smiles Dentistry and Orthodontics.

“Paige’s niece and nephew stopped by Katy 5 to show off their healthier, happier smiles“

“South Florida Regional Partner, Jacob Kramer, Founding Dentist, Dr. Minh Pham, and Dr. David Martinez celebrate a CEREC® CAD/ CAM first for Dr. Martinez“

“National Smile Day at Bulverde“

“The Pacific South Coast offices came together to support the Special Olympics“

“St. Paul celebrates Kyndall’s DA graduation“

“Our amazing team and RP Patrick Perodin, volunteering at the Baltimore Orioles Team Smile 2019 event“

“Sunrise Operations Manager Jhalisson celebrates her OM of the Month win with the team“

“Savion from American Idol stopped by Round Rock 2“

“Dr. Stout, Dr. Knight, and Dr.

enjoyed serving the Sacramento Children’s Home“

“RM Patrick threw out the first pitch for the Tacoma Rainiers baseball club through the Smile Generation partnership“

“Houston 2 sending great birthday wishes to Dr. Dilawri“

Bautista

CONGRATULATIONS NEW OWNER DENTISTS

DR. WILLIAM BAILEY

Hilltop Smiles Dentistry and Orthodontics Oregon Region

DR. EMILIANO NAVEJAS CARPIO Eastlake Modern Dentistry San Diego Region

DR. MACY BEGLEY Dentists of Bellevue Tennessee Region

DR. NAVIA NGUYEN Southcenter Modern Dentistry Washington Region

DR. SAGAR PATEL Kilian Dentistry South Carolina Region

DR. MATEUSZ WITELUS Viera Modern Dentistry Central Florida Region

DR. JENEVIEVE BUNASSAR FONTELA Pinecrest Dentistry South Florida Region

DR. CHANDNI PATEL Lindero Canyon Dental Group Pacific South Coast Region

DR. TYLER SANDERS Bear Creek Dental Group and Orthodontics South Inland Empire Region

DR. RICHARD COLLETTE Prominent Point Dental Group and Orthodontics Rocky Mountain Region

DR. ERIC OH Dentists of Arden Northern California Region

DR. CATHERINE GARZA Bulverde Dentistry Gulf Coast Region

DR. HIREN PATEL (Pediatric Owner) Laveen Kid’s Dentist and Orthodontics Desert Plains Region

DR. EZRA SOLAIMAN TEHRANI Hastings Ranch Dental Group and Orthodontics Pacific South Coast Region

DR. JUSTIN GREEN Tiny Town Smiles Dentistry Tennessee Region

DR. SAMIP PATEL Dentists of Vail Desert Plains Region

DR. KENNETH LEONG Desert Valley Dental Group and Orthodontics Pacific South Coast Region

DR. KATHERINE RAMSEY Tiffany Springs Dental Group and Orthodontics Midwest Region

DR. LEELA TUMMALA (Pediatric Owner) Heritage Modern Dentistry and Orthodontics Desert Plains Region

DR. KYLE GROSS Cedar Hill Modern Dentistry and Orthodontics Desert Plains Region

DR. ZI JIAN WU North Decatur Dentistry Georgia Region

DR. WANNI LIE Charleston Smiles Dentistry Nevada Region

DR. STEPHEN STANFIELD (Pediatric Owner) Foothills Smiles and Orthodontics Desert Plains Region

DR. LINDA YANG Loveland Dental Group Rocky Mountain Region

DR. JAMES HEIDENREICH (Pediatric Owner) Promenade Smiles Dentistry and Orthodontics Desert Plains Region

DR. AMANDA HAND Rio Rancho Modern Dentistry Rocky Mountain Region

DR. KENNY TRAN Cedar Hills Modern Dentistry Oregon Region

DR. LILIT ALIKHANYAN Dentists of Arlington Desert Plains Region

DR. DONNA KARIMZADA Silverado Ranch Dentistry Nevada Region

DR. SARAH HANSEN Prescott Valley Dental Group Desert Plains Region

DR. JOHN MCANINCH (Pediatric Owner) Pearland Modern Dentistry and Orthodontics Gulf Coast Region

DR. BHARAT WADHWA Sierra Smiles Dentistry Northern California Region

DR. ASHLEY CHUNG Grant Park Dentistry Oregon Region

DR. MEGAN MOSHAR Marina Smiles Dentistry Pacific South Coast Region

DR. SAHITI KANDATI Clarksville Modern Dentistry Tennessee Region

42 NEW OFFICES

Opened in the Last Six Months

1 CHANTILLY 2 Virginia. Opened 2/26/19. South Riding Modern Dentistry 8 ORLANDO 2 Florida. Opened 4/09/19. SoDo Smiles Dentistry

2 BLUE SPRINGS 3 MKD Missouri. Opened 3/01/19. My Kid's Dentist and Orthodontics

3 CHULA VISTA 3 California. Opened 3/18/19. Eastlake Modern Dentistry

4 PHOENIX 14 SNC Arizona. Opened 3/25/19. PDS Foundation Dentists for Special Needs

LEXINGTON 2 South Carolina. Opened 4/09/19. Lexington Modern Dentistry

PALM BEACH GARDENS Florida. Opened 4/09/19. Dentists of Palm Beach Gardens

SUGAR LAND 3 Texas. Opened 4/16/19. Dentists of Riverstone

IRVINE 3

Opened 5/07/19. Dentists of Irvine

KNOXVILLE 2

Opened 5/07/19. Farragut Modern Dentistry

OXNARD 3

Opened 6/04/19. Oxnard Smiles Dentistry

CINCINNATI 1

Opened 6/25/19. Dentists at Hyde Park Plaza

TACOMA Washington. Opened 6/28/19. Tacoma Smiles Dentistry

SACRAMENTO 5

Opened 7/08/19. Dentists of Arden

PORTLAND 3 Oregon. Opened 7/16/19. Portland Modern Dentistry

MIAMI 3 Florida. Opened 7/16/19. Dentists of Midtown

SANDY Utah. Opened 7/30/19. Sandy Modern Dentistry

HUDSON OAKS Texas. Opened 7/30/19. Dentists of Hudson Oaks and Orthodontics 5 SALT LAKE CITY

SPRINGDALE 1 Ohio. Opened 7/30/19. Springdale Modern Dentistry

Celebrating PDS® Team Member ANNIVERSARIES

BRIAN BUEHLER

Dentist, Owner (General Practice)

6/1/1994

Dr. Buehler has earned loyalty from patients and long time team members alike. Those who know him credit his genuine care and concern for others as the foundation for this loyalty. Dr. Buehler is passionate about quality dentistry and has willingly shared this passion across the PDS environment over the years. Thank you, Dr. Buehler, for your years of partnership and passion for clinical excellence. Congratulations on 25 years!

– Jessica Maldonado

DARIN REAGAN

Dentist, Owner (General Practice)

6/1/1994

Dr. Reagan has contributed to the growth of PDS in many ways over the past 25 years. He is appreciated for his passion for clinical excellence and his patient-centric approach to the care of patients and leadership of his practices. Patients, partners, and team members alike respect the genuine relationships he builds with everyone that comes in contact with him. Congratulations on 25 years!

– Paula Larson

YEARS

CHARLES RODGERS

Dentist, Owner (General Practice) & VP, Clinical Quality

8/31/1994

Dr. Charles Rodgers service in the PDS supported environment is best measured by results and character. Dr. Rodgers was one of the very early owner dentists onboarded. His results were such that Steve would turn to him when a practice was struggling to help quickly turn it around. My experience with Dr. Rodgers has been of integrity. He continually makes decisions without emotion by seeking the best interest of patients, providers, and PDS ® .

CAROL BARTHOLOMEW

Registered Dental Assistant, Extended Functions 8/4/1999

Carol has been a valuable part of my team, and I commend her for continuing to set new goals for herself and achieving them. Carol is not only a great team member who is always willing to help out, but also a great mentor! Thank you Carol for all you’ve done for myself and the office. I look forward to the years to come. Congratulations on 20 years of success!

ELIZABETH MACFARLAND

Registered Dental Assistant 9/20/1999

I remember how shy you were when I first met you 20 years ago. Now you have blossomed into a beautiful, strong, intelligent woman who is no longer scared to deliver the PPE® to each and every patient and staff member. You are always going above and beyond for our patients and staff.

Dr. Watanabe, Cynthia, and myself are honored to still have you on our original Murrieta team and look forward to another 20 years. We could not do it without you, Liz. We all appreciate everything you do for us. Thank you.

LAURA PEREZ

Dental Assistant 4/8/1999

Thank you for your hard work and dedication to PDS® these past 20 years. We appreciate so much as a team member. You have an unwavering sense of reliability, work ethic and of course, your quick, sharp sense of humor. It doesn’t end at the office either. You continuously go out of your way to help outside the workplace with the fur babies of the team. The trust people have in you is extraordinary and continues to show how amazing you truly are. Warmest congratulations on this momentous accomplishment.

– Andrea Goode and Dr. Joshua Walker

PEARL MARIE VACA

Specialty Back Office Supervisor

7/16/1999

We applaud Pearl’s dedicated efforts over the past 20 years as we recognize her tremendous contributions to the Pacific South Coast region. Pearl has played a vital role in supporting the growth of our ortho program year after year. Her expertise enables her to build awesome ortho DA teams, and, in leading by example, she brings out the best in her team members. Her can-do attitude has helped us overcome countless hurdles over the years, and her steadfast willingness to help has been invaluable. We know that success doesn’t happen by accident, and we take pride in her accomplishments and continued commitment to excellence. Pearl, we truly appreciate your energy, your kindness and all the work you do. But most of all, we appreciate you!

YEARS

JEFFREY WONG

Dentist, Owner (Specialty)

8/1/1999

Congratulations, Dr. Wong, on your 20th anniversary with PDS ® ! Your orthodontic skills are unrivaled and your calm and caring style puts both patients and parents at ease. I am proud to be your partner and look forward to many more years together helping patients smile!

− Lisa Bradley

OCTAVIO ARIZAGA

Specialty Dental Assistant Orthodontics

7/26/2004

Octavio has been instrumental to the growth of the ortho program in South San Diego. His positive attitude and compassion for taking care of our patients is truly admirable. Thank you, Octavio, for your hard work and dedication!

− Dr. Sonal Singh

BRENDA BARRIOS

Accounts Payable Specialist

6/7/2004

Brenda has come a long way since she started with us. She is very dedicated and her work ethic is superior. We sincerely appreciate her hard work and efforts. Thank you, Brenda, for being such a valuable member of our AP team. Congratulations on your anniversary!

− Armando Palacios

ARMANDO BORROEL

Regional Manager, Specialty

8/3/2004

Happy Anniversary Armando – 15 years of hard work, loyalty, and commitment to the We Believes. Your work ethic, dedication, and commitment embodies the organizational philosophy, and your service level is a testament to your perseverance and integrity. May you always have an abundance of success and prosperity wherever you cast your light.

− Maha Said-Shariff

JEFFREY BROWNING

Program Manager, Oral Surgery

8/19/2004

I would like to congratulate Jeff on 15 years of outstanding service to PDS supported dentists, oral surgeons, and offices. Constantly I have regions and Oral Surgeons thank us for Jeff’s dedication in starting up their OS programs and for always being available for any bit of support they need. We are very blessed to have him on the De Novo and New Markets Team. Congratulations Jeff, and here’s to 15+ more years at PDS!

− Mark Dean

DR. FLORA YUEH-CHUAN CHEN

Dentist, Specialist Orthodontics

8/1/2004

I have had the pleasure of working with Dr. Chen for the past 15 years. We believe in the power of teamwork, and Dr. Chen is a genuine example of this. Thank you, Dr. Chen, for your partnership and next level patient care.

− Dr. Alex Sharifian

MARIA DE LEON

Dental Assistant 4/20/2004

Very cooperative, professional, enthusiastic, and good hearted team player. She has been my right hand for 10 years. Thank you for your hard work and dedication.

− Dr. Abdo Abdo

DR. WILLIAM CHEN

Dentist, Specialist Orthodontics

9/1/2004

After serving the Rialto community with beautiful smiles over the years, Dr. Chen’s passion for creating more smiles is second to none. He always treats each patient individually, focusing on #1: What do they want their smile to look like in 24 months? We’re all excited in working with Dr. Chen for many years to come. Happy 15th Dr. Chen!

− Shirley Cullen

HEIDI COLLINS

Specialty Benefits Coordinator

9/1/2004

Heidi has played an instrumental role in the success of the specialty department of San Dimas Dental Office and Orthodontics over the past 15 years. When patients come to the office, Heidi knows almost all their names, their kids, and everyone else in their family. She is so warm and engaging with each individual that it is truly a family affair. It is Heidi’s unwavering commitment to her patients that continues to grow the practice year over year. Heidi truly enjoys what she does on a daily and is an expert in her field.

− Crystal Miller

JAMES COYLE

Operations Manager 7/28/2004

Patients are always greeted with a genuine smile from James. He is the pulse of the office. His ability to interact with patients and give them a sense of calm is vital in the success of the practice and giving them the Perfect Patient Experience.

− Paula Smith

LIZ DOWNEY

Regional Manager Specialty Back Office

5/3/2004

Liz has been an integral part of the success in the SIER as both an RDA and now supporting the success of the specialty programs with specialty assistant scheduling across the region. She is a tenacious, hard worker who performs above and beyond what is required. She strives to always do the right thing with focus on delivering the Perfect Patient Experience® for the past 15 years. Liz is THE team player everyone should have on their team. Thank you, Liz, for your unwavering commitment, loyalty and dedication! Congratulations on 15 years of success!

− Marla Boddy

MATT FEENEY

Registered Dental Hygienist

8/13/2004

Although Matt is a part time hygienist in our office, he played a crucial role in our unprecedented growth this year. He brings a positive energy to the office with his sense of humor and urgency to treat our perio patients. His quality of work is proven by his huge following of patients from all over Southern California. It is a pleasure working with Matt, and I consider him a great friend, as well. Although, his Friday morning donut deliveries do help!

− Dr. Afshin Habashi

JOSEPH FELDSIEN

SVP, Professional Partnerships 5/17/2004

Starting in a dental office 15 years ago and working his way up as our leader in the role of SVP of Professional Partnerships, Joe is a shining example of what hard work and dedication can bring you at PDS ®. Thank you, Joe, for your years of service!

−Stephen Thorne IV

DR. RENEELYN DANG

Dentist, Associate 9/13/2004

Dr. Dang is the heart and soul of Anaheim Hills Dental Group. She takes the time to get to know all of her patients allowing her to treat them as individuals. Her patients are so loyal to her and will wait months to see her. We are blessed to have her and she is a mentor for our entire team. Dr. Dang, you make everyone feel so special and valued. Thank you for your thoughtfulness and your attention to detail; our office wouldn’t be the same without you!

− Dr. Neusha Najafi

ESTHER FLORES

Dental Assistant 9/21/2004

It has been a privilege to work with Esther in San Marcos. Her can-do attitude and commitment to the Perfect Patient Experience make her a crucial member of this team. Even during the busiest of days, she never wavers the quality of her work. Thank you, Esther, for being a leader in our office and being such a joy to work with!

− Gina Sutherland

AMANDA FORDYCE

Operations Manager 4/5/2004

Amanda has been an integral part of the Desert Plains Region from the beginning and continues to provide exceptional value. She is someone we can always count to deliver exceptional results. Congratulations on 15 years!

− Kevin Lawton

CAROLYN FRANZEL

Lead Dental Assistant 7/22/2004

Carolyn has played a crucial role in delivering the Perfect Patient Experience ® for the past 15 years. She exemplifies strong leadership skills to ensure our back office runs efficiently daily. Her positive attitude and outstanding attention to detail continually help our practice grow and our team thrive. Our doctors appreciate her autonomy and reliability. Patients often give great feedback and reviews about her care. Thank you, Carolyn, for your dedication to creating Healthier, Happier Patients ® ! Congratulations on 15 years of success!

− Septian Zain

SABRINA GALLARDO

Specialty Dental Assistant Oral Surgery 4/19/2004

Sabrina has played a crucial role in the delivering the Perfect Patient Experience ® for the past 15 years. Thank you, Sabrina, for your unwavering dedication and commitment to creating Healthier, Happier Patients ® ! Congratulations on 15 years of success!

−Orlando Sanchez

MARIKA GEORGESCU

Lead Dental Assistant 8/19/2004

Marika has played a crucial role in the office for the past 15 years. Her positive attitude and outstanding attention to the office and financial controls continually help our practice grow and our team thrive. Patients and team members alike treasure Marika’s positive, fun loving attitude. Thank you, Marika, for your unwavering dedication! Congratulations on 15 years of success!

− Michelle Ylizaliturri

MARICELA GOMEZ

Lead Dental Assistant 5/10/2004

Maricela is such a pleasure to have and an instrumental part of our success. Her positive attitude and outstanding attention to detail continually help our practice grow and our team thrive. Patients and team members alike treasure conversations with Maricela, and she is always the first one to remind us all that problems are just opportunities in disguise. She has the most positive attitude. Thank you, Maricela, for your dedication to creating Healthier, Happier Patients! Congratulations on 15 years of success!

− Kimberly Orozco

LAURA GONZALEZ

Lead Dental Assistant 4/19/2004

We are very lucky to have Laura as part of our team, she is always willing to go the extra mile to serve and help our patients and team. Congratulations, Laura, on your 15 year anniversary! Thank you for you dedication and diligent work.

− Nuria Koecklin

LINDSEY GONZALEZ

Registered Dental Hygienist 6/14/2004

Lindsey Gonzalez has played a crucial part in the success of Crossing Dental Group for the past 15 years. Lindsey has not only been a great hygienist but a crucial part of developing and mentoring newer hygienist, as well as growing the hygiene program. She is not only an asset but a crucial team member. Thank you, Lindsey and Congratulations on 15 years of success!

− Dr. Justin Mercer

DR. JOHN HSIEH

Dentist, Owner (General Practice) 6/7/2004

Dr. John Hsieh embodies character, strength, and resilience. He is a trusted, fierce, and incredible clinician, an awesome OD, a wonderful father, husband, and a kindhearted human being that leads with tough standards and substance. We congratulate Dr. Hsieh on this outstanding milestone and are privileged by the opportunity to serve and support him every day. Happy 15 years, Dr. Hsieh! May you always have an abundance of success and prosperity wherever you cast your light.

− Maha Said-Shariff

ALLA KAMBUR

Registered Dental Assistant 4/29/2004

Alla has been part of the core of our team since the beginning and has flourished with the team as it grew. She’s one of the most hard working and caring persons I have known. She treats every single patient with great respect with the goal of making their experience special. Over the last fifteen years, she’s been with our team, she has helped multiple doctors to succeed and understand the true meaning of the PPE®. I look forward to continuing to work with Alla in the future.

− Dr. Amardeep Gill

LISA MAY KNIGHT

Registered Dental Assistant 5/20/2004

Lisa has been a crucial part of our team since day one. She is extremely dedicated to patient care as well as doctor success. Lisa brings a positive energy into the practice and is always ready to jump in to help. We look forward to many more years with Lisa!

− Woodland Smiles team

NURIA KOECKLIN

Operations Manager

3/1/2004

Nuria is a driving force in the offices she serves. She has a great relationship with the patients and team. Her detail to the PPE® and patient care give her patients and team a look into what Nuria stands for. Healthier, Happier Patients ®. Congratulations!

− Paula Smith

BAYALINA MILLER

Specialty Dental Assistant Periodontics

9/13/2004

Gina is a great assistant. She is hard working, caring, and she genuinely cares about the patients, the team and the doctors she works for. Without a doubt, the best thing about Gina is that she is truly a good person. I am extremely fortunate to have her in my perio team. Thank you, Gina! You are the best! Congratulations on 15 years of success!

− Dr. Ton That Viet

DR. DEAN LAMBRIDIS

Dentist, Owner (General Practice)

7/6/2004

Dr. Lambridis has developed a strong and loyal following over the years from patients, associates, and team members alike. He has supported the development and growth into practice ownership for many associates over the years. His support of others and heart for service is admired by many. Congratulations, Dr. Lambridis, on your 15 year anniversary!

− Paula Larson

LUCY LOPEZ

Operations Manager

7/6/2004

Lucy has proven to be a great asset to the offices she has supported by improving operations through her commitment and hard work. Her dedication to strong team members shows through her results. Lucy’s operational excellence is often shared with her peers as she is always willing to help out across the region as a go to subject matter expert for new people. Congratulations, Lucy, on your 15 year anniversary!

− Dan Rodriguez

LILIANA MANZO

Lead Dental Assistant 6/28/2004

Lily exhibits great leadership for our team. She is ALWAYS a team player! Lily welcomes our patients with a smile and great care. We are so lucky to have her at La Verne and looking forward to the years to come! Congratulations on 15 years of success!

− Dr. Linda Pearce

MARIO MARISCAL

Sr Manager, Field Development

8/23/2004

It has been an absolute pleasure and honor to work with Mario, in his role as Sr Field Development Manager. Mario always has a smile on his face and can make anyone feel at ease. We are fortunate to have his drive and dedication to his team to ensure that they are able to provide the ultimate in guidance and support of the field. Congratulations to Mario on 15 years! We are very blessed to have him on the De Novo and New Markets team!

− Mark Dean

BICHNGA NGUYEN

Lead Dental Assistant

7/9/2004

Bichnga has been an invaluable member of our team for the last 15 years. She dedicates herself to the success of the office and inspires the team with her passion around providing excellent care to our patients. Congratulations to 15 wonderful years!

− Karlene Belani

CHANEL NUNGARAY

Recruiter, Dentist

9/14/2004

Congratulations on achieving this anniversary milestone! We know you have worked hard, and we truly appreciate your dedication and effort. It’s been wonderful supporting your growth. Thank you, Chanel, for your positive attitude, industriousness, and contribution to PDS ® and the Pacific South Coast region! Congratulations on your 15 years. Wishing you the best for continued success!

− Clarissa Castillo-Ramsey

NATASHA O’KEEFE

Sr Mgr, New Market Development RM Content 6/21/2004

15 years ago, Tosh started off her impressive PDS career as a receptionist at San Clemente. Her determination for growth had her holding nearly every front office position through the years, including SRM, PDC, and RM, all while obtaining her BA and MBA at night and graduating magna cum laude! As Sr. Mgr. of New Market Development and RM Content, her skills, dedication, and professional demeanor have made such a positive impact in supporting the field. We are very blessed to have her on the De Novo and New Markets team! Congratulations on 15 years!

− Mark Dean

DR. HAMBIK OKTANYAN

Dentist, Owner (General Practice) 8/2/2004

I’ve had the pleasure of working with Dr. Oktanyan since his first day in a PDS-supported practice, being part of his professional journey from associate to multi-office OD. Those who work closest with him know he truly cares about his team. He has played an active role in multiple promotions of his team members. Thank you for being a career champion! Congratulations on your 15 year anniversary!

− Paula Larson

DR. JAHAN PANDHOH

Dentist, Associate 7/30/2004

Happy 15th Anniversary, Dr. Pandhoh! Thank you for your dedication and service. Your team greatly appreciates you and all that you do. You are amazing and your patients love you. One patient stated “I cannot express how happy I was with Dr. Pandhoh’s professionalism, attitude, and the result of the procedure.” From all of us at Anaheim Hills Dental Group, we wish you the very best and many more years to come.

− Ashley Vargas

DR. SUMEET PANDHOH

Dentist, Owner (General Practice) 8/16/2004

Dr. Pandhoh consistently supports the Pacific South Coast region through his facilitation of trainings and meetings. He successfully and willingly provides his time and opens his practices to current and future ADs for training and shadowing, providing an experience that has his peers confidently recruiting his support and AD candidates looking for opportunities to work with him. Setting the bar high and consistently working on the core elements of success set a strong foundation for Dr. Pandhoh’s success. Congratulations and THANK YOU for 15 years – Happy Anniversary!

− Paula Larson

CHARLOTTE RAMOS

Regional Back Office Manager 5/7/2004

Charlotte truly embodies what every great PDS ® leader strives to be: hungry and humble. She is one of the most dedicated and driven individuals I have ever had the pleasure of working with. Her desire to help others succeed and passion for achieving excellence is contagious. I am honored to work alongside such a talented woman who inspires me daily. Cheers to an amazing 15 years!

− Jennifer Muller-Andronis

NASRIN SAFIAN

Lead Dental Assistant 8/9/2004

Congratulations on 15 years! Thank you for your committed service as an employee to our office.

− Dr. Elham McMurray

KATHY SWINK

Lead Dental Assistant 6/11/2004

Kathy has been in dentistry for over 30 years , 15 of those years have been with PDS. She loves helping people with their dental needs. Cosmetic dentistry is her favorite, she gets so excited for the patient when they see their smile for the first time after being restored from either decay, trauma or just not a smile they were comfortable with. Kathy loves making a difference by helping patients be Healthier, Happier Patients ® !

− Kris Sowersby

MAHNAZ TAVAKOLI

Operations Manager 8/25/2004

Mimi has been a welcoming fixture at Simi Valley Smiles for years and continues to deliver results while creating to a family environment for her patients and her team members. Her dedication, positive attitude and leadership make her an asset to everyone around her. Thank you, Mimi for your kindness, loyalty and work ethic. It’s a pleasure to work alongside you!

− Larry Craft

LORENA TREJO-HERRERA

Lead Dental Assistant 8/27/2004

Lorena has been the emotional backbone for our entire team. Her dedication and care for patients drives everyone in the office to live up to her example, and creates an environment where everyone enjoys coming in to work every day. Her skill and devotion as a leader really sets her apart. She has trained numerous assistants and doctors and is a source of knowledge when other offices need help. We look forward to continue growing with her into the future.

− Nadyne Gomez

SANDRA STACK

Lead Dental Assistant 5/3/2004

Dedicated, loyal, skilled, humble, and professional. Sandra has amassed qualities and characteristics over the course of career, family life, and faith journey that make her the ideal lead dental assistant. She prides herself on providing the Perfect Patient Experience ® while also keeping costs strictly in check. She brings the hustle and the fun daily. It’s my honor to be able to work alongside her and I look forward to seeing all that we can accomplish with her at the helm of our back office. Thank you, Sandra!

− Dr. David Jones

TALAYEH AFKHAMI

Dentist, Specialist Orthodontics 9/24/2009

KATIE BANGHAM

Benefits Coordinator 8/20/2009

BERENICE AGUIRRE

Specialty Back Office Supervisor 4/22/2009

ALETHEA ALTAMIRANO

Specialty Dental Assistant Oral Surgery

6/17/2009

AMBER BARRON

Registered Dental Assistant Extended Functions II 9/30/2009

KARLEE BELL

Operations Manager II 7/29/2009

KRISTIE ANN CAIN

Dental Assistant 4/20/2009

CARRILLO

Lead Registered Dental Assistant 9/9/2009

CRALL

Analyst, Kids Dentistry 4/27/2009

DR. EMILIO

ARGUELLO

Dentist, Specialist Periodontics 9/8/2009

WALTER AUSTIN

Sr Mgr, Audit Operations

4/30/2009

EILEEN BAN

Specialty Dental Assistant Oral Surgery

6/17/2009

KIM BERTAGNOLLI

Sr Specialist, New Markets and Front Office 7/6/2009

ELIZABETH BROWN

Registered Dental Hygienist 5/27/2009

CULLEN CROM

Regional Manager, Specialty 4/29/2009

MONICA CABRAL Operations Manager 6/24/2009

BLANCA CURIEL

Registered Dental Assistant 7/8/2009

DAILEY

Lead Dental Assistant 4/29/2009

YOLANDA
KIM
JULIE

DR. JEFF DAVIS

Dentist, Owner (General Practice) 7/13/2009

LORENIA DEL HOYO

Registered Dental Assistant 9/9/2009

CHRISTINA FRANK

Benefits Coordinator 5/13/2009

MARY ANN GILBERTSON

Benefits Coordinator 7/20/2009

DR. KELBY GALE Dentist, Owner (General Practice) 6/24/2009

HAILA EL-KERDI

Regional Manager, Specialty 6/3/2009

ISAVEL ESQUIVEL

Benefits Coordinator 4/8/2009

CHRIS GARCIA

Registered Dental Hygienist 4/10/2009

TERESA GIOFFRE

Registered Dental Assistant 8/12/2009

KARINA GARCIA

Specialty Benefits Coordinator 8/5/2009

VICTORIA GLORIA

Registered Dental Assistant 7/8/2009

JOANNA GOMEZ

Lead Dental Assistant 4/8/2009

DR. NAILA FARUKHI

Dentist, Specialist Orthodontics

7/19/2009

IRENE FIGUEROA

Supervisor, ROC Process

Improvement 6/10/2009

MARIA GARCIA

Registered Dental Assistant 4/3/2009

KYLE GUERIN

Dir, PDS ® Foundation & Corporate Responsibility 7/8/2009

KRISTEN GEPHART

Operations Manager 6/10/2009

DR. AFSHIN HABASHI

Dentist, Owner (General Practice) 9/23/2009

KERISTEN HARO

Specialty Dental Assistant Oral Surgery 4/22/2009

BETHANY JOHNSON

Specialty Dental Assistant Oral Surgery 9/2/2009

JAZMINE HERNANDEZ

Dental Assistant 5/13/2009

LORENA HUERTA

Specialty Dental Assistant Pediatrics 4/22/2009

KELLY LEMOINE

Specialty Dental Assistant Oral Surgery 5/6/2009

DR. BINDU KANSAGRA

Dentist, Owner (General Practice) 8/7/2009

DESIREE KING

Specialty Dental Assistant Pediatrics 5/20/2009

VERONICA LESPRON

Lead Dental Assistant 7/8/2009

LEWIS

Regional Manager, Specialty 6/17/2009

DR. ELENA IACOB

Dentist, Specialist Orthodontics

6/24/2009

BENIAMIN IOANCA

Operations Manager

9/2/2009

TAMARA JACKSON

Regional Collection Specialist 8/24/2009

DR. CHRISTINA KRAFT

Dentist, Owner (General Practice) 6/4/2009

SUMMER LAMOUREAUX

Regional Manager, Specialty 7/20/2009

DR. JODY LIN

Dentist, Owner (General Practice) 7/20/2009

ED LOONAM

Sr Specialist, University Relations 5/27/2009

DR. ANDREW LEE Dentist, Specialist Oral Surgery 4/25/2009

Receptionist 7/1/2009

LOPEZ

JAC
GLORIA

JESSICA LOUTON

Pediatric Manager 6/8/2009

JESSICA MACIAS

Registered Dental Hygienist 8/24/2009

TRESA MAYS

Specialty Benefits Coordinator 4/28/2009

TOM MERLO Operations Manager 8/5/2009

JOHN MEZICK Regional Manager 8/24/2009

MARGIE PELL

Lead Dental Assistant 7/1/2009

BLANCA PEREDAHERNANDEZ

Specialty Dental Assistant Periodontics 4/29/2009

DR. KEVIN MILLER

Dentist, Owner (General Practice) 4/28/2009

DR. LARRY MCIVER

Dentist, Owner (General Practice) 6/22/2009

DR. SCOTT NIELSEN

Dentist, Owner (General Practice) 7/24/2009

DR. MARK MELDE

Dentist, Specialist Endodontics 5/28/2009

KIMBERLY OROZCO Operations Manager II 8/26/2009

SERGIO MENDOZA

Lead Dental Assistant 6/17/2009

PALUSZEWSKI

Dental Assistant 8/12/2009

DR. JESS PETERS

Dentist, Owner (General Practice) 7/13/2009

ROSELEEN RAM Assistant Manager 4/8/2009

SAVANNAH RAMOS

Lead Dental Assistant 4/24/2009

RICKARD

Regional Manager 7/8/2009

MELINDA
VICTORIA

LISA ROCK

Operations Manager 5/5/2009

VALERIE ROMERO-DURAN

Dental Assistant 5/11/2009

TERI ROSE

Regional Collection Specialist 5/18/2009

JASMINE SERNA

Specialist, Insurance Collections

7/15/2009

ROBYN SHOCKLEE

Lead Dental Assistant 8/12/2009

AMY SHUCHA

Specialty Dental Assistant

Orthodontics 4/22/2009

DR. IYAD SOOD

Dentist, Specialist Periodontics 7/15/2009

AMY SPAULDING

Sr Mgr, Billing Operations 7/22/2009

JOSHUA SPENCER

Operations Manager 7/29/2009

DR. RICHARD WEBSTER

Dentist, Specialist Orthodontics

7/1/2009

NOLA WESLEY

Specialty Dental Assistant Orthodontics 8/27/2009

KRISTA WINK

Associate Recruiter 5/6/2009

DR. CHERYL TRAN

Dentist, Owner (General Practice) 5/27/2009

KIMBERLY WEBB

Lead Dental Assistant 6/15/2009

MEGAN WEBB

Specialty Dental Assistant Oral Surgery 9/25/2009

ARACELI ZEPEDA Dental Assistant 9/14/2009

CENTRAL FLORIDA

CHRISTINA CRAWFORD

Regional Marketing Specialist 4/14/2014

DESERT PLAINS

AUTUMN ALMARAZ

Lead Registered Dental Assistant 9/8/2014

SARAH BIELAWSKI

Registered Dental Hygienist 7/25/2014

EMILY BRACAMONTE

Specialty Dental Assistant Pediatrics

5/19/2014

ALINA BUENO

Benefits Coordinator

6/16/2014

JENNIFER BUTLER

Specialty Dental Assistant Pediatrics

5/27/2014

AMANDA CALDERON

Registered Dental Assistant 9/29/2014

RAELYN CARNAHAN

Operations Manager 7/1/2014

PATRICIA CASTILLO

Assistant Manager 5/1/2014

MARINA CORDOVA

Regional Marketing Specialist 4/24/2014

BRIANNA DEARDUFF

Dental Assistant 9/22/2014

CAROLINA DIAZ

Specialty Benefits Coordinator 5/13/2014

ZARI ESKANDARI

Registered Dental Assistant 9/29/2014

MICHELLE FRAME

Lead Dental Assistant 7/14/2014

CONNIE GARCIA-ZERMENO

Dental Assistant 5/8/2014

DOMINIQUE GLORIA

Specialty Benefits Coordinator 4/21/2014

EMALISA GONZALES

Lead Dental Assistant 5/20/2014

GABRIELLE GONZALEZ

Dental Assistant

8/26/2014

DIANA HARDING

Lead Dental Assistant 4/14/2014

MONICA HUNTER

Lead Dental Assistant 4/28/2014

ANDREA IRWIN

Operations Manager 9/15/2014

DR. MOHAMMED KHAKWANI

Dentist, Owner (General Practice) 7/30/2014

DR. BRIAN LEDIN

Dentist, Associate 7/7/2014

ANDREW LOPEZ

Specialty Benefits Coordinator 4/16/2014

LYNETTE MACIAS

Registered Dental Hygienist 6/21/2014

BERNADETTE MADRID

Pediatric Manager 5/12/2014

XITLALITL MANTINEO

Lead Dental Assistant 5/5/2014

TERESA MARQUEZ

Registered Dental Assistant 6/2/2014

KENNETH MEBOE

Specialty Dental Assistant Endodontics 4/7/2014

DR. LANE MEDINA

Dentist, Owner (General Practice) 9/29/2014

CELINA MORA

Dental Assistant 7/2/2014

JAMES NAVARRO

Specialty Dental Assistant Oral Surgery 9/2/2014

ALEJANDRA OSORIO

Lead Dental Assistant 5/14/2014

ANNA PILOTTE

Registered Dental Hygienist 8/14/2014

MEGAN PLEASANTS

Specialty Benefits Coordinator 7/29/2014

DANYELL POWELL

Registered Dental Assistant 5/12/2014

KATELYN ROBERTS

Regional Manager 5/19/2014

SUZANNA RODRIGUEZ

Specialty Benefits Coordinator 4/7/2014

MARIELA ROMERO

Specialty Dental Assistant Pediatrics 8/25/2014

DR. HARITHA SAMBARAJU Dentist, Owner (General Practice) 9/22/2014

DR. ADAM SCHAEFER Dentist, Owner (General Practice) 6/9/2014

DR. ANDREW SEYMOUR Dentist, Specialist Orthodontics 6/4/2014

DR. NIKKI SHAKOURIAN Dentist, Specialist Orthodontics 9/5/2014

DR. STEPHEN STANFIELD Dentist, Specialist Pediatrics 8/11/2014

YOLANDA TACHO Specialty Benefits Coordinator 7/28/2014

PERLA TALAVERA

Registered Dental Assistant 4/23/2014

JAMIE TENUD Dental Assistant 9/15/2014

KATIE THREADGILL Benefits Coordinator 6/17/2014

LINDSEY VAN NESS Assistant Manager 5/21/2014

DR. TODD VINCENT Dentist, Owner (General Practice) 6/9/2014

KATRINA WILSON

Lead Dental Assistant 7/10/2014

GEORGIA

KIVA CAMPBELL

Dental Assistant 9/29/2014

DR. JOSEPH DUCKSWORTH Dentist, Specialist Oral Surgery 9/27/2014

BINA PATEL

Registered Dental Hygienist 7/1/2014

DR. TINA SAMPAT Dentist, Owner (General Practice) 6/30/2014

JIA SANDERS Regional Manager 8/18/2014

GULF COAST

VERONICA ALEXANDER

Lead Dental Assistant 7/21/2014

YAMI ARAUZ-GONZALEZ Registered Dental Assistant 7/29/2014

DR. TASNIM ARSIWALA Dentist, Owner (General Practice) 9/9/2014

DR. JOHN AYRE Dentist, Owner (Specialty) 6/4/2014

LAILA BAZARGAN Pediatric Manager 4/28/2014

CHRIS BERMEA Operations Manager 6/20/2014

KAYLA BUNTIN Assistant Manager 5/1/2014

DIANA CARRIZALEZ Benefits Coordinator 9/24/2014

ALBERT CASTELLANOS

Benefits Coordinator 4/8/2014

GLADIS CASTILLO Lead Dental Assistant 7/26/2014

JASMINE CHATMAN Dental Assistant 7/2/2014

TREY COLEMAN

Registered Dental Hygienist 7/21/2014

MARIAM CONEY Registered Dental Hygienist 9/29/2014

AMANDA CROFT Operations Manager II 8/11/2014

MEREDITH DALLAS Dental Assistant 9/5/2014

HALEY DODD

Specialty Dental Assistant Orthodontics 9/8/2014

YADIRA ESCALANTE

Lead Registered Dental Assistant 6/3/2014

GULF COAST cont ’d

KIMBERLY ESCOBAR-CORTEZ

Registered Dental Hygienist 9/4/2014

DANNY FUENTES

Specialty Dental Assistant Pediatrics 5/29/2014

ADRIANA GARCIA

Registered Dental Assistant 8/20/2014

JENNIFER GARCIA

Registered Dental Hygienist 4/25/2014

DR. VALERIE GARCIA Dentist, Associate 5/5/2014

MARCUS GAUTREAUX Operations Manager 8/4/2014

CHRISTINA GREB

Specialty Dental Assistant Oral Surgery 4/7/2014

JOVEL HAMILTON Operations Manager 6/9/2014

NICOLE HERNANDEZ Benefits Coordinator 9/2/2014

JACKY HUGHES

Specialty Dental Assistant Orthodontics 8/26/2014

RENA JOLLY

Lead Dental Assistant 7/10/2014

BRENNA KADING

Registered Dental Hygienist 6/23/2014

DR. ALI KHAN Dentist, Specialist Pediatrics 7/7/2014

DR. TAMEKA KNIGHT Dentist, Associate 8/11/2014

JESSICA LASKOWSKI Dental Assistant 9/22/2014

SARAH LEMOS

Registered Dental Hygienist 7/24/2014

ZAIRA MARTINEZ

Lead Dental Assistant 6/4/2014

HOLLY MCDOUGALD

Registered Dental Assistant 6/16/2014

TAMMY MCLAWCHLIN Operations Manager 7/7/2014

HEATHER MCNEESE

Specialty Dental Assistant Pediatrics 8/4/2014

AARON PARRISH Regional Manager 5/12/2014

MARINA ROBLES Specialty Benefits Coordinator 6/12/2014

DR. ANDREW ROSSI Dentist, Specialist Periodontics 9/22/2014

DR. JUSTIN SEAMAN Dentist, Specialist Oral Surgery 9/20/2014

MARCIE SPRAYBERRY Regional Manager 5/19/2014

MARIA TAGUINES

Registered Dental Hygienist 7/8/2014

CHASITY THOMAS Operations Manager 7/7/2014

NICKIE TRAN

Registered Dental Hygienist 8/25/2014

AMANDA USSERY

Registered Dental Hygienist 4/28/2014

COLISA VINES Specialty Benefits Coordinator 4/1/2014

TINA VU Specialty Dental Assistant Orthodontics 5/16/2014

ALEXIS WHITE Pediatric Manager 9/8/2014

DR. FREDDIE WILKES Dentist, Specialist Pediatrics 7/28/2014

MASSACHUSETTS

JEFF LONGFIELD Regional Partner 9/16/2014

MIDWEST

HAMDI ABDI Dental Assistant 9/2/2014

BRANDY CHAMPLAIN Specialty Lead Dental Assistant 5/31/2014

DR. ROBERT FECHNER Dentist, Owner (General Practice) 5/21/2014

YULONDA FOXWORTHY Specialty Lead Dental Assistant Orthodontics 4/7/2014

DR. CRAIG GAUGH Dentist, Owner (General Practice) 8/11/2014

DR. BRADLEY HIGGERSON Dentist, Owner (General Practice) 6/9/2014

BRITTANY HILLS Dental Assistant 9/22/2014

MATTHEW HORNBECK Operations Manager II 5/27/2014

VANESSA KARELL Specialty Dental Assistant Orthodontics 6/11/2014

LINDA KLIPSCH Operations Manager 4/14/2014

ERIN MCPHERSON Operations Manager 4/16/2014

ROBERTO RAMIREZ Dental Assistant 6/30/2014

TRISHA SCHMIDT

Lead Dental Assistant 6/23/2014

ALICIA WATERS

Specialty Lead Dental Assistant 7/15/2014

MINNESOTA

SHYANNE BOIKE Regional Manager 8/11/2014

WILLIAM YANG

Specialty Back Office Supervisor 6/25/2014

NATIONAL SUPPORT

LISA BOGDANOV Recruiter, National Support 7/7/2014

RALUCA CRISTEA Specialist, Insurance Collections 4/14/2014

VALERIE DE LARIVA Administrator, Legal II 4/21/2014

TARA DRACH Recruiter, New Regions 4/14/2014

STEVE FARRELL Mgr, OD Tax Services 8/18/2014

ROLAND GASKINS Analyst, Application I 9/8/2014

GEORGIA GILES Analyst, Revenue Operations 5/19/2014

JUAN GONZALES Sr Advisor, People Relations 4/7/2014

ANGELINI HAWKINS Supervisor, Billing Operations 6/23/2014

MICHAEL HUNTER Coordinator, Maintenance 5/1/2014

PETER JUSS Sr Dir, Regional Finance 4/21/2014

QT KHUONG Dir, Internal Audit and Compliance 7/1/2014

BARBARA KRUEGER Program Mgr, Hygiene Clinical 5/19/2014

JIN KUO Mgr, Mktg Cross-Channel Development 6/23/2014

FLORA LAM Accountant 7/28/2014

GOVIND NAIR Sr Administrator, Database 5/19/2014

MELENAE NEALAND Specialist, Insurance Collections 6/9/2014

AN NGUYEN Medical Biller 4/21/2014

JARIN PAINE Supervisor, Contact Center 9/15/2014

RICHARD PERRY Technician, Field Service Maintenance 9/1/2014

ANAMARIA PETRINCA Specialist, Insurance Collections 9/29/2014

CESAR PORRAS

Supervisor, Posting/Balancing 7/24/2014

VILANEY SULLIVAN

Auditor, Insurance Claims

8/26/2014

NEVADA

KATHERINE ACEVEDO

Dental Assistant 4/25/2014

HORALDA AVILA

Dental Assistant

6/23/2014

DR. GIRI CHELIAN

Dentist, Specialist Orthodontics

7/28/2014

BRETT GOODNOW

Recruiter, Dentist

6/23/2014

DR. NEAL GULATI

Dentist, Associate 8/12/2014

ROSA GUTIERREZ-MORA

Lead Dental Assistant 5/30/2014

CARISSA HOFFMAN

Operations Manager II 9/2/2014

JULIYA KHODAREVSKAIA

Registered Dental Hygienist 6/23/2014

DR. STEVE KYUNG

Dentist, Specialist Oral Surgery 4/2/2014

STELLA MENDOZA

Lead Dental Assistant 5/27/2014

CHRISTIAN MIRANDA

Lead Dental Assistant 8/25/2014

TRUNG NGUYEN

Registered Dental Hygienist 9/2/2014

ISAAC PARRA

Lead Dental Assistant 8/2/2014

DR. CHRISTIAN PERALTA

Dentist, Owner (General Practice) 5/5/2014

JONATHAN PEREZ

Lead Dental Assistant 9/17/2014

LAURA RIVERA

Dental Assistant 4/21/2014

BRITTNEY RUIZ

Dental Assistant 9/15/2014

DR. SHEENA SHARMA

Dentist, Owner (General Practice) 7/7/2014

DESIREE SLANE

Pediatric Manager 7/28/2014

DR. KEVIN TAN

Dentist, Owner (General Practice) 7/7/2014

IMELDA VELASCO

Receptionist 9/16/2014

NORTHERN CALIFORNIA

KATHLEEN ALMEIDA

Registered Dental Hygienist 7/22/2014

DR. TIMOTHY BENNETT

Dentist, Owner (General Practice) 5/12/2014

DR. KARLEEN BOPARAI

Dentist, Owner (General Practice) 4/1/2014

OLGA CERNAT

Registered Dental Assistant 5/1/2014

CARMEN CHOW

Registered Dental Hygienist 9/25/2014

MELISSA COSTA

Specialty Dental Assistant Pediatrics 7/14/2014

NICHOLAS D’AMICO

Regional Partner

9/8/2014

JUSTINE DAUBERT

Benefits Coordinator 9/22/2014

NORMA DEL TORO

Registered Dental Hygienist 9/25/2014

LINDSEY FATTA

Regional Marketing Manager 8/25/2014

TESS FRANKLIN

Operations Manager 6/30/2014

MIRANDA FRISBIE

Specialty Benefits Coordinator 9/30/2014

AMANDA GAYLORD

Lead Dental Assistant 4/28/2014

ERICA GONZALEZ

Specialty Dental Assistant Orthodontics 9/25/2014

EMMETT GREALY

Regional Manager 5/30/2014

ALANNA GUMATAOTAO

Specialty Benefits Coordinator 9/30/2014

AMBER IBARRA

Benefits Coordinator 9/2/2014

DR. PRABHPREET KAILA

Dentist, Owner (General Practice) 5/5/2014

DR. ARDALAN KESHTKAR

Dentist, Owner (General Practice) 9/2/2014

AMANDA KNEISEL

Specialty Dental Assistant Endodontics 4/14/2014

DR. TERESA LEE

Dentist, Specialist Pediatrics 8/30/2014

RHONDA LINGENFELTER

Registered Dental Hygienist 7/21/2014

ARACELI LOPEZ

Specialty Benefits Coordinator 8/26/2014

AMANDA MARQUEZ

Registered Dental Assistant 5/19/2014

EUGENE NADURA

Operations Manager Trainee 5/23/2014

DESERI PEREZ

Specialty Dental Assistant Pediatrics 4/23/2014

ABBY PINEDO

Lead Registered Dental Assistant 4/28/2014

ADRIANA QUEZADA

Specialty Dental Assistant Orthodontics 9/2/2014

LEEANNE QUILLMAN-STEPHENS

Specialty Dental Assistant Oral Surgery 7/30/2014

ALYSSA RAMIREZ

Operations Manager 9/2/2014

DR. JAMES RHO

Dentist, Owner (General Practice) 7/28/2014

CHEYANNE RODRIGUEZ

Specialty Dental Assistant Oral Surgery 8/18/2014

CONNIE ROSALES

Registered Dental Assistant 7/9/2014

KARISSA SAHRAGARD-MONFARED Operations Manager 9/29/2014

SAMANTHA SALAS

Specialty Benefits Coordinator 8/27/2014

DAWN SCHERMERHORN

Registered Dental Hygienist 5/29/2014

LECHELLE STOUT

Lead Registered Dental Assistant 9/23/2014

ROSA TOBAR

Registered Dental Assistant 5/15/2014

DR. SALIEM TSIGHE Dentist, Associate 6/23/2014

HARINI TUMMALA

Registered Dental Assistant 9/29/2014

REBECCA VALENTIN

Registered Dental Assistant 8/15/2014

JENNIFER WALTHERS

Registered Dental Hygienist 5/27/2014

MORGAN WESTBROOK Assistant Manager 9/8/2014

DR. AMY YONEMITSU Dentist, Associate 9/30/2014

OREGON

DR. GREGORY DELGADO Dentist, Specialist Oral Surgery 6/7/2014

BRONTI FRIAS

Lead Dental Assistant 4/28/2014

NIKKI NGUYEN

Registered Dental Hygienist 9/5/2014

CYNTHIA RUSSELL

Dental Assistant 6/17/2014

SAMANTHA WILSON

Regional Manager 9/3/2014

PACIFIC SOUTH COAST

SONA AGHASARIAN

Specialty Dental Assistant Oral Surgery 9/17/2014

CARLOS AGUILAR

Lead Dental Assistant 9/2/2014

DR. ANTONIO ALFONSO

Dentist, Owner (General Practice) 8/11/2014

CHARM ANINION

Specialty Dental Assistant Orthodontics 6/16/2014

YASAMAN ARYAEE

Registered Dental Hygienist 7/7/2014

VIVIANA AVALOS

Specialty Benefits Coordinator 9/12/2014

JASON BATTS

Operations Manager 5/19/2014

DR. MISTY BLACK

Dentist, Owner (General Practice) 5/30/2014

DR. BUKI BOLURO-AJAYI

Dentist, Owner (General Practice) 9/2/2014

ASHLEY BONE

Operations Manager 4/14/2014

JOHNNY CABRERA

Specialty Dental Assistant Periodontics 7/11/2014

LAURA CALEGARI

Registered Dental Hygienist 9/3/2014

DEVIN CASTRO

Specialty Dental Assistant Oral Surgery 9/2/2014

MONICA CENICEROS

Registered Dental Hygienist 9/16/2014

LARRY CRAFT

Regional Manager 5/12/2014

LEALA CRESWELL

Assistant Manager 5/28/2014

KAMAILE CROWELL

Operations Manager II 4/7/2014

STARR EATON

Specialty Dental Assistant Orthodontics 8/4/2014

AMY ELENBAUM

Registered Dental Hygienist 5/2/2014

BRITTANY FIKRE

Benefits Coordinator 7/14/2014

LISA FISHER

Registered Dental Hygienist 9/16/2014

JENNY GARCIA

Operations Manager 4/30/2014

DR. TINA GHAFFAR GHAFFARZADEGAN

Dentist, Owner (General Practice) 9/17/2014

IVAN GODINEZ Dental Assistant 8/29/2014

GOLNAZ GOLZARI

Registered Dental Hygienist 9/17/2014

ROBIN GRYDER

Specialty Dental Assistant Oral Surgery 6/2/2014

GUILLERMO GUZMAN ARROYO

Lead Registered Dental Assistant 8/15/2014

DR. SARA HAKIMZADEH Dentist, Associate 9/29/2014

DR. CHRISTOPHER HENDERSON Dentist, Specialist Oral Surgery 7/1/2014

DEBRA HERNANDEZ

Registered Dental Assistant 5/14/2014

AMY HO Operations Manager 6/16/2014

DR. KENNETH LEONG

Dentist, Owner (General Practice) 9/3/2014

SAMANTHA LOERA

Operations Manager 5/12/2014

ANNA LUCAS

Lead Registered Dental Assistant 6/9/2014

KELLY MAGRANN Specialty Dental Assistant Orthodontics 6/5/2014

AUDRA MASSENA

Registered Dental Hygienist 5/13/2014

JOE MEDINA

Lead Registered Dental Assistant 4/24/2014

DR. MEGAN MOSHAR Dentist, Owner (General Practice) 9/25/2014

MONICA PADILLA Specialty Benefits Coordinator 9/15/2014

LIDIA PEREZ Receptionist 7/1/2014

BRIGITTE RENTERIA Benefits Coordinator 8/18/2014

DR. TOMMY SEDIQ Dentist, Owner (General Practice) 9/18/2014

MARTHA SEPULVEDA

Benefits Coordinator 4/25/2014

JAMES TRY Dental Assistant 8/26/2014

MARIA VEGA

Regional Administrative Assistant 4/15/2014

DR. MICHAEL VONGPHOE Dentist, Specialist Endodontics 6/19/2014

ROCKY MOUNTAIN

RAMIRO ALVARADO CHAVEZ Dental Assistant 6/9/2014

APRIL ARMIJO Specialty Benefits Coordinator 9/15/2014

ANDREA BENSO Operations Manager 7/7/2014

DR. CURTIS BENSON

Dentist, Owner (General Practice) 4/21/2014

STEPHANIE BOLTON Operations Manager 6/16/2014

BLANCA CABRIALES Benefits Coordinator 8/25/2014

ERIKA DEGNER Specialty Benefits Coordinator 8/6/2014

DR. JAMES DOLL Dentist, Owner (Specialty) 7/15/2014

TIFFANY DUONG Dental Assistant 4/30/2014

STEVE ELLICKSON Operations Manager 9/9/2014

JOURDAN EPSTEIN Specialty Benefits Coordinator 7/14/2014

DR. RYAN GARDNER Dentist, Owner (General Practice) 6/2/2014

DR. CHRISTINE GOODELL Dentist, Owner (General Practice) 7/4/2014

LISA HETZEL Lead Dental Assistant 5/26/2014

LINH LAM Lead Dental Assistant 5/26/2014

DR. BRENT LAMM Dentist, Specialist Orthodontics 4/4/2014

DR. DOUG LEE Dentist, Owner (General Practice) 5/19/2014

AZERET LENDSEY Benefits Coordinator 7/15/2014

JOE MAESTAS Lead Dental Assistant 8/25/2014

DR. JASON MAINES Dentist, Specialist Endodontics 9/1/2014

JASMINE MIER Registered Dental Hygienist 7/9/2014

JANET PICKERING Dental Assistant 7/16/2014

BETH PINO Specialty Dental Assistant Oral Surgery 5/29/2014

EMILY PIRZYNSKI Operations Manager 5/7/2014

TAYLOR RICHARDS

Regional Marketing Specialist 8/22/2014

ERICA RODRIGUEZ

Lead Dental Assistant 8/21/2014

STEPHANIE ROSS

Regional Manager 4/1/2014

KAREN SANDOVAL

Dental Assistant

4/21/2014

JULIE SENAMONTRY

Dental Assistant

6/6/2014

DR. MARZIEH SHAFIE

Dentist, Owner (General Practice)

8/4/2014

LORIN SHARP

Registered Dental Hygienist 5/12/2014

SARAH STALEY

Specialty Lead Dental Assistant Orthodontics

5/5/2014

ALANNA TAPIA

Lead Dental Assistant

6/2/2014

ALYSSA VALLEJOS

Benefits Coordinator

4/8/2014

STEPHANIE VILLEGAS

Assistant Manager

5/29/2014

SAN DIEGO

MINDI BAHU

Regional Marketing Specialist

9/10/2014

KATARINA BECKER

Receptionist

7/21/2014

SCALLA CASTILLO

Registered Dental Hygienist

5/19/2014

ANGELA DELMAR

Registered Dental Hygienist 5/6/2014

ANDREA FARAGUNA

Lead Registered Dental Assistant 3/10/2014

CRYSTAL GAMINO

Lead Dental Assistant 5/12/2014

AURORA GARCIA

Registered Dental Assistant 5/12/2014

MEHRNOUSH HIRBOD

Registered Dental Hygienist 6/23/2014

DR. CHERISHMA JAMI

Dentist, Associate 9/2/2014

ALICIA MASTELLER

Operations Manager II 8/25/2014

DR. AMANDA MERCER

Dentist, Owner (General Practice) 6/16/2014

TERRENCE MITCHELL

Registered Dental Assistant 5/12/2014

EVANGELINA MORENO

Operations Manager 4/14/2014

DR. RYAN REDFORD

Dentist, Specialist Orthodontics 7/16/2014

LIZETH ROMERO

Lead Registered Dental Assistant 9/24/2014

DR. VINCENT TU

Dentist, Owner (Specialty) 7/17/2014

CHARLENE YAMBAO

Registered Dental Hygienist 4/1/2014

SOUTH INLAND EMPIRE

DR. ASHLEY ABRAMS

Dentist, Owner (General Practice) 5/6/2014

DR. JONATHAN ALBAUGH

Dentist, Specialist Orthodontics 7/18/2014

SILVIA AYALA

Specialty Benefits Coordinator 9/24/2014

BREANNA CAMPBELL

Lead Registered Dental Assistant 9/17/2014

DR. CHUCK CARLSON

Dentist, Specialist Orthodontics 7/1/2014

JOHN CONTRERAS

Lead Registered Dental Assistant 8/1/2014

BRANDY HAUGUM

Registered Dental Assistant 9/22/2014

BOBBIE HOGLE

Registered Dental Assistant 9/3/2014

JOSE HUERTA

Registered Dental Assistant 5/16/2014

ROSA JACQUEZ Specialty Dental Assistant Orthodontics 6/11/2014

RACHELLE MARTINEZ Registered Dental Assistant 9/29/2014

RENEE MARTINEZ Registered Dental Hygienist 5/14/2014

MARICEL MISAL Registered Dental Hygienist 5/20/2014

MELISSA OPPER Benefits Coordinator 4/22/2014

MARCO OROZCO MELENA Specialty Dental Assistant Orthodontics 6/4/2014

BRENDA PENA HUERTA Specialty Benefits Coordinator 5/5/2014

BECCA REED-DOWNEY Registered Dental Assistant 5/12/2014

KIARA RIDDLE Registered Dental Hygienist 4/1/2014

ELIZABETH SALAZAR

Registered Dental Assistant 8/26/2014

DANIELLE WHITEHEAD Registered Dental Assistant 5/28/2014

TENNESSEE

CINDY WALKER Operations Manager 4/1/2014

WASHINGTON

AMY BALICH Operations Manager 4/7/2014

SCOTT BISHOP Regional Manager 9/29/2014

SUSAN BROWN Assistant Manager 5/12/2014

DR. MANI FARZIM Dentist, Associate 9/2/2014

JAIME GUTIERREZ Operations Manager 8/18/2014

PATRICK KELLY Regional Manager 8/14/2014

BRANDI MEDINA Pediatric Manager 9/29/2014

SUMMER NUCKLES Assistant Manager 8/4/2014

DR. JESSICA RABER-LATZKA Dentist, Owner (General Practice) 7/5/2014

What’s New with Organizational & Talent Development

AAP Classification of Periodontal Disease

ACROSS

2. Updated periodontal disease classifications are based in part on ____ teeth and complexity of managing the case.

3. Grade B is characterized in part by destruction commensurate with ____ deposits.

5. Updated periodontal disease classifications are based in part on future ____ of progression and likelihood of response to standard therapy.

7. The third step to staging and grading periodontitis is defining the ____ and adding it as a description.

11. Distribution is considered ____ when it affects less than 30% of the dentition.

12. Stage I is defined as ____ periodontitis.

13. Stage III is defined as ____ periodontitis with potential for tooth loss.

17. Distribution is considered ____ when it affects greater than or equal to 30% of the dentition.

DOWN

1. Determining a patient’s radiographic bone ____ is important to deciding if they are in Stage I or II or in Stage III or IV.

2. The new classification system will help clinicians identify cases that may require a ____ approach.

4. Clinical attachment loss is the distance from the cementoenamel junction (CEJ) to the base of the ____.

6. The new classification system will allow clinicians to identify patients with periodontal disease as soon as possible to ____ treatment outcomes.

7. Previous periodontal disease classifications were based solely on the severity of past ____.

8. Grade A is characterized in part by no tobacco or other habits and no ____ conditions.

9. Stage I and II periodontitis include no tooth loss and mostly ____ bone loss.

10. Stage II is defined as ____ periodontitis.

Need Hints? Check out C-PERI301 AAP Classifications of Periodontal Disease on the PDS University™ Online, or talk with your hygienist!

18. Stage IV is defined as severe periodontitis with potential for ____ loss.

20. Stage III and IV periodontitis include tooth loss and possible ____ bone loss.

21. The stages ____ the severity of the disease.

22. The first step to staging and grading periodontitis is establishing the ____.

FEATURED WORKSHOP

Dental Assistant Externship Development Program

This program was developed to support the development of dental assistants completing their externship hours in PDS ® -supported practices. The program assists in identifying the strengths and opportunities for externs to continue to grow as dental assistants and helps them practically apply their new skills. For information on how to effectively support an extern in your practice, refer to the Externship Development Plan Overview found in PDS University Online under Learning Programs.

14. The grade helps determine how fast the disease is progressing and how well it may respond to ____.

15. Grade C is characterized in part by a bone loss percent greater than the patient’s ____.

16. The second step to staging and grading periodontitis is determining the ____.

19. The AAP’s recommendation is to ____ by determining whether the case falls under Stages I and II or Stages III and IV.

Turn static files into dynamic content formats.

Create a flipbook
Issuu converts static files into: digital portfolios, online yearbooks, online catalogs, digital photo albums and more. Sign up and create your flipbook.