PDS life the

It was an unbelievable weekend honoring PDS®’s best. Congratulations to all of the winners!





Dear PDS ® Teammates,
Message From the PRESIDENT
![]()

It was an unbelievable weekend honoring PDS®’s best. Congratulations to all of the winners!





Dear PDS ® Teammates,
Message From the PRESIDENT
Dentistry is in the midst of the biggest changes I have seen in my 26 years of being in this industry. These are definitely exciting times. Jokingly, I say that healthcare leaders are finally figuring out that the mouth is connected to the rest of the body, and what is going on in our mouths can have a profound impact on so many systemic (and some non-systemic) diseases.
There are studies being published that are finding the same bacteria and other bad stuff (that's a technical term for us non-clinicians) that cause tooth decay and periodontal disease are found in our arteries, blood clots, kidneys, prostate, and other vital organs of our bodies. One such study found that patients who received proper periodontal care reduced their C-reactive protein levels, which is a biomarker for inflammation in the body.
My personal belief based on the flood of studies I have read and the preponderance of the evidence is that, during my lifetime, there will be scientifically valid studies linking periodontal disease directly to other systemic diseases. This is only my personal belief and is not yet backed by scientific evidence.
Healthcare executives are taking notice though. Some dental plans are now including higher benefits for treating periodontal disease, either more often, or lesser copays. Delta Dental of New Jersey recently approved dentists to perform and get paid for an A-1-C blood glucose test to screen for diabetes. A company called Theranos could be providing the next-generation of blood tests where they can test for all sorts of things with a simple drop of blood that traditionally took vials of blood. This might be a game changer for patients and healthcare providers.
It is estimated that Accountable Care Organizations (ACOs) will have 75 million members by 2018. And if the studies demonstrate that patients who receive proper oral healthcare reduce overall healthcare costs, my bet is that ACOs will incorporate dental as part of their offering. It is already a requirement in Oregon.
All of this is to say that we are in the most exciting times ever for dentistry. The industry is surely going to change, and I think it will change for the better. The services our great supported clinicians provide create healthier,
happier people. There is no better platform out there than the PDS Platform to evolve as the industry evolves.
Here's to our future! The coming decade is going to be exciting as we continue to build the Greatest Dental Company in America.
All the best,

Stephen Thorne IV, President
The Manchester Grand Hyatt in San Diego, CA was the perfect setting for high performing PDS ® team members to enjoy some inspiring moments and high-energy entertainment while celebrating an excellent year—and in some cases up to 20!
This year’s President’s Club was held at Rosewood Mayakoba in Cancun, Mexico. Enjoy these fun pictures and entertaining stories from PDS-supported owner dentists, associate dentists and specialists.
PDS-supported OMs celebrated in style at the Ritz-Carlton, Laguna Niguel for this year’s OM Champion’s Club. Read about the honored OMs’ adventures and their amazing experiences as they celebrated a job well done.
Dr. Eric Ellis recounts an exciting adventure to Ethiopia where hundreds of children received access to dental care and the lives of a caring group of PDS-supported clinicians and team members were changed forever.
Dr. Charles Rodgers offers insight into clinical excellence, the Perfect Patient Experience ® and making modern dentistry more efficient and accessible in the first of a two-part article on the Quality Improvement Success Score (QISS).
Doug Fields describes an innovative approach to work-life balance with a fun contest that rewards PDS team members for making time to be with the people who matter the most to them.




THERE WAS A COOL, LAID BACK San Diego vibe at this year’s XP Award Gala. The event took place at the stunning Manchester Grand Hyatt in beautiful San Diego, California. It was an intimate gathering of award winners, team members celebrating 10-, 15-, and 20-year anniversaries, and their guests.



























Congratulations to all of the winners!
The fun-filled weekend kicked off Friday night with a cocktail reception out in the harbor. During the day on Saturday, attendees had the opportunity to participate in events such as a culinary tour, visiting the U.S.S. Midway, a trolley tour or a harbor cruise.
The awards started with a rousing applause for Founder, President, and CEO Stephen Thorne and all 100 XP Award winners. The energy continued as we celebrated the region, regional manager, and office of the year. The awards were passed out, which included 27 platinum awards, eight diamond awards, two We Serve awards and one incredible Award of Distinction to the specialty regional manager from the Rocky Mountain region, Blair Hanosh.
The celebration continued on as DJ Ravidrums played all the hits and people danced the night away. It was an unbelievable weekend honoring PDS ® ’s best. Congratulations to all of the winners.













President’s Club is a prestigious honor bestowed upon a select few of PDS® -supported owner dentists, associate dentists and specialists. This year’s President’s Club winners enjoyed an amazing trip to the Rosewood Mayakoba in Cancun, Mexico. Read about their experiences and share in the memories by viewing the photos!







Dr. Fred Lee, Southwest Region
“I’m amazed that each year I go, the level of luxury and pampering is even higher! The resort, 24-hour butler service, the spa, the sharing of this experience with friends, made this trip the best one so far!”
Dr. Babak Ariannejad, Southwest Region
“It was an honor to be a part of this year’s President’s Club and to rub elbows with the best of the best in the company. I will definitely be working even harder this year in hopes of making the trip again!”
Dr. Kelley Ryals, Rocky Mountain Region
“We had an amazing time at the resort and discovering the local culture of Chichen Itza Mayan Ruins.”
Dr. Linda Vanson, Pacific South Coast Region
“I was very fortunate to be part of the PDS ® President’s Club again this year. It is indeed a high honor, and I am grateful that PDS offers such a wonderful reward. The resort is always phenomenal. It’s super fun spending time with old and new friends outside the hectic workplace. Thank you so much, PDS, for allowing me to strive to become a better provider. Every year, it just keeps getting better!”
Dr. Tommy & Emily Yun, Rocky Mountain Region
“We would like to thank Steve Thorne, Pam Hosier and the entire PDS family for organizing such a fabulous, fun-filled trip that we will forever remember. The resort, accommodations and activities were all top notch. It was truly an honor to be a part of this selective group.”
Dr. Usha Mantena, Northern CA Region
“Our trip to Cancun, specifically to the Rosewood Mayakoba, was so much more than we expected. The service and food at the resort were exemplary. This was a great time for my brother and I to kick back and relax by the beach, walk around Playa Del Carmen, and get in touch with the Mayan ruins in Koba as well as Tulum. Eager to see what 2016 will be.”
Dr. Sherly Sohal, Southwest Region
“I would like to thank you, Steve and Pam, for organizing such a wonderful trip. We loved it, had an amazing time, created beautiful memories, and are looking forward to more.”
Dr. Rami Dimitri, Southwest Region
“WOW. The Rosewood Mayakoba—an amazing resort—so serene, so peaceful, so relaxing. Hanan and I had a great time there laying down on the beach and walking around this wonderful place. Service was out of this world and the spa was heavenly. It was an amazing vacation to dust off all the stresses from work, wind down and recharge for a new fruitful year. Thanks again, PDS.”


































Dr. Ali & Ellie Shahrestani, Desert Mountain Region
“We both had such a relaxing and peaceful vacation with breathtaking ocean views, and got to have drinks and lounge around on the beach. Frank, our butler, was wonderful. This was our fourth year attending the President’s Club and Frank from the Rosewood was by far the best butler we have ever had. He was everywhere and always ready to help and assist us.“
Dr. Don Parker, Desert Mountain Region
“As always, Pam and Steve spoiled us. The resort was beautiful, the room was incredible, the food was wonderful, and the time spent with friends was priceless! I recommend anyone who hasn’t gone to President’s Club to make it a goal to go at least once. You won’t regret it!”
















20 15


The OM Champion’s Club honors the cream-of-thecrop operations managers who keep the PDS ®supported practices running smoothly and help the supported dentists perform their best. This year’s OM Champion’s Club was held at the picturesque RitzCarlton in Dana Point, CA. Read about their fun-filled experience and check out their photos!





Irma Duron, Desert Mountain Region
“All I can say is, what an experience! The hotel room was beautiful and the view breathtaking. We met some amazing people. All in all, such a wonderful experience.”
Kim Haag, Southwest Region
“Beautiful resort and great memories made! Thank you, PDS, for spoiling us!”
Theresa Murphy, Northern CA Region
“This was a trip of a lifetime! It is truly amazing to be a part of a company that gives back to the OM team. My husband and I appreciated the mini vacation and the beautiful hotel. I can only hope that I am able to be a part of the OM Champion’s trip every year.”


Jose Arellano, Gulf Coast Region
“I made some new friends that I hope to see soon, but definitely at next year’s Champion’s Club!! GOING FOR YEAR TWO IN THE CLUB!”
Nick Murray, Southwest Region
“My wife and I had an extremely relaxing and fun time. The resort was beautiful and the staff treated us like VIPs the entire time. It was really great being around fellow OMs that had similarly great results last year—we were able to share stories and grow closer together as friends and not just counterparts in different offices. These trips are definitely working as the ‘dangling carrot’ for future OM Champion’s Club trips.”







Andrea Goode, Southwest Region
“What an amazing experience! My husband and I had such a relaxing and beautiful weekend. The Ritz was absolutely spoiling. The view, the rooms, and of course the wonderful dinner events that were set up for us. It was something I was looking forward to all year, and it was well worth the wait. I hope to be repeating it next year!”
Stephanie Wootan, Rocky Mountain Region
“What a relaxing and memorable weekend! We were treated like royalty, not only by the staff at the Ritz Carlton, but by the executives. Definitely felt appreciated, thank you!”
Sarah Williams, Pacific South Coast Region
“Thank you, PDS ®, for such a great trip that just happened to land on my 6th wedding anniversary! It was so nice and relaxing falling asleep to the sound of waves every night and waking up to a beautiful view every morning. Wonderful little getaway!”
Jen Hamilton, Pacific South Coast Region
“We had such a great time with our peers! I feel so privileged to have been able to go on such a fantastic trip! PDS really does make you feel thanked and appreciated! 2016 club, here I come!!!!”


Lisa Lewis, Southwest Region
“I just want to express how much the trip meant to my husband and I. My husband shared with Brady, who sat at our table, that no other company that he or I have worked for has shown so much appreciation and gratitude towards its employees. I truly do work for the best company!”
Juan Esquivez, Desert Mountain Region
“We are very grateful and honored to be part of this amazing company. Thank you, Pam, for bringing together an unforgettable 2015 OM Champion’s Club.”






On Saturday, May 9, over 200 volunteers gathered in Garden Grove, CA, to build a playground with the non-profit group KaBOOM! and provide dental services to the community. In serving the amazing people of Orangewood Baptist Church and the Friendly Center, lives were changed and hearts were touched. “This is an incredible event,” said Pacific South Coast Regional Partner Paula Larson. “It brings me so much joy to see the smiles on the children, and the community that is going to benefit from this playground, and also on the faces of my team while serving others.”
In a little over six hours, the group was able to:
• Move 124 cubic yards of mulch
• Mix 22,500 pounds of concrete
• Build: 4 tree benches 4 picnic tables 4 Mendocino benches 2 shade structures 2 accessible picnic tables 2 trash containers 2 raised planters 2 planter boxes 1 35-foot accessible pathway



While one group was building a playground, another was building smiles. In partnership with the PDS Serve Foundation™ Mobile Dental Clinic, over 130 patients were seen, and over $65,000 in donated dentistry was provided. “We saw a lot of patients today and provided extractions, crowns, root canals, and hygiene,” said Dr. Joan To from Beach Dental Group in Redondo Beach. “We made a lot of people smile and I’m thankful for the opportunity to serve this community. It was a great day.” Thank you to everyone who took time out of their day to change a life.

By Dr. Eric E. Ellis, PDS ® -supported Owner Dentist
The story of a life-changing experience serving dental patients in need in Ethiopia

On a recent serve trip to Ethiopia, we had the opportunity to help hundreds of kids without access to dental care. Many of them had lived with painful dental infections for years. The simplest procedures we see at home can be fatal there, so it was truly a blessing to be able to take care of them. In just one week, we were able to provide over $363,000 in donated dentistry to 541 patients in need.
These service trips really impact my perspective on how fortunate we are. The Ethiopians we served in rural Tigray have so little materially, but so much joy.
The staff that came along was incredible. Dr. Brad Guyton, Dr. Tanisha Jackson, Dr. Hamid Abedi, Dr. Jack Moss and Dr. Charles Rodgers worked so hard and were always willing to see another patient. Dr. Jack Dillenberg, the dean of Arizona School of Dentistry & Oral Health (ASDOH), came with us to learn how his dental school could assist Mekelle University. Delara Cerda, our hygienist, worked non-stop, and dental assistants Storrie Burns, Nicole Juarez, Randi Vigna, DJ Byrum and Staci Smallwood were always one step ahead to make sure we had what we needed. Regional Partner Joanna Rodgers also came to serve, and she got right in there and assisted Dr. Rodgers with oral surgery. Gonzalo Esparza, our maintenance man, was a real-life MacGyver, fixing everything. Mario Mariscal, Judy Forsythe, Barbie Vartanian and Kyle Guerin were also there providing tremendous support.
On top of serving the dental needs of the community, we also had the opportunity to visit an elementary school. The kids proudly welcomed us and showed off their school. This village is one of the lucky ones; our generous patients back home have donated to our partner, charity: water, to provide them with clean drinking water. This allows the children to attend school without illness and to thrive, even in the limited conditions. Local village girls, whose only duty previously was to walk miles to an unsanitary water source and bring it back home, are now able to enroll in school and receive a formal education. I had the opportunity to speak to the entire school on behalf of The Smile Generation®. My goal was to inspire, but instead—they inspired me!
It is such a joy to help those in need, but what it does for me personally is even more impactful. Service missions like these make my relationships with my family and patients that much more special. When I serve, my entire family is serving with me. I’m lucky to have such an amazing wife that serves alongside me by being both mom and “dad” while I’m away. It’s really important to both of us that our kids understand there is nothing sweeter than the satisfaction of serving others.
If anyone is on the fence about serving, DO IT! From the thankful patients served to the amazing friendships developed with other volunteers, the experience can change your life.





The first part of this article describes details regarding many of the metrics tied to the Quality Improvement Success Score (QISS) for PDS® -supported clinicians.
The QISS includes the view of quality as seen from the patient’s perspective. Though the patient perspective may not be completely accurate, it will ALWAYS be the view they act on, whether this means returning to the office for more treatment or choosing to seek continued care elsewhere. This concept is foreign to most dentists. In fact, most devalue it, but it is very familiar territory for hospitals and physicians, and they have measured patient view for decades.
CLINICAL EXCELLENCE – Specific clinical outcome metrics. While this is the circle that most dentists automatically gravitate towards, it alone is not enough to sustain balanced, comprehensive patient care over the course of time.
EFFICIENT & ACCESSIBLE MODERN DENTISTRY – Includes the efficiency and availability of care. This is a statement of the desire and ability of the clinician to provide efficient care that is also reasonably accessible to patients who desire the clinician’s provided services.
PERFECT PATIENT EXPERIENCE® – Includes all QFEs and metrics related to the patient’s perception of care delivered, along with their willingness to return for additional treatment.
Our first iteration of the QISS is specific to PDS-supported owner dentists and their associates. All scores except Facility Audit apply directly to the clinician. Examples of measured scores include indirect success rates (remakes inverted), e-Audits, % served, Start 30, CCX booked, and QFEs. There has been some confusion on whether NP-7 and e-Audit were specific to an individual provider, and they are. Obviously, a solo dentist at a new location will share the same stats as the clinic. A shift in metric scores occurs when multiple dentists are at one location.
Indirect Success Rate – The two-year success rate of ALL indirects delivered a monitor of the percentage of indirects that have NOT
failed or required a remake over the course of a two-year period, as a percentage out of 100.

by Charles Rodgers, DDS VP of Clinical Quality
% Served – A percentage of the treatment plan completed. Measures what percentage of the most commonly diagnosed procedures are being completed. This measurement excludes less frequently used procedures, such as veneers and implants, without penalizing doctors for diagnosing those less frequent procedures.
e-Audit – Automated measuring of over 100 items that are triggered by digital chart entries and already tracked. Items include: X-rays taken after crown seats, signed consents tied to specific procedures that require consents, digital medical history completed, blood pressure taken, and next visits being documented.
QFE – Quest for Excellence tracks the current QFE score, which is obtained digitally from patients after their first visit. There is currently about a 10% response rate. The QFE is ALL about the patient experience. The current QFE score included measurements of how satisfied the patient was with the level of comfort during the visit, how satisfied the patient was with the overall cleanliness of the office, if the patient has a long-term dental care plan, etc.
Start 30 – Willingness by patients to start ANY treatment within a 30-day window.
Patient Time for Single Indirect – How much time it takes for the provider to treat the patient with a single indirect restoration (single unit) from the moment the patient walks in the door to the time they exit (patient sign-in to sign-out). This statistic speaks to the efficiency of delivery of care, as well as to how the provider and team meet the patient expectations.
It is my belief that being part of the creation of the QISS algorithm and tracking process will be the most valuable thing I have participated in during my dental career. I know it can be relatively easy for clinicians to bash it or tear it apart as irrelevant, but I request some thoughtful consideration of the reasoning behind the QISS structure and its intent. If some modifications and tweaks are necessary to improve it, that will be done.

“MEETING
We’ve all heard the expression, “People don’t care how much you know until they know how much you care.” No statement rings more true when considering today’s dental patients.
Patients today are more aware, more educated, and quite possibly more skeptical than any other time in recent history. The days of “telling” our patients what they should let us do to solve their dental problems are coming to an end. We may meet a new patient, examine his/her mouth, take a complete series of radiographs, study models, bite records, and schedule the patient to return to the office for a consultation to discuss treatment plan options. When the patient returns, we present the perfect, most wellthought-out treatment plan to solve all of their dental problems. We discuss the fees associated with the plan and maybe even how we can help obtain financing for their dental treatment— and the patient walks out the door! What happened?
One of the greatest challenges we face as dentists is meeting our patients for the very first time, completing a comprehensive examination, and discovering there are a multitude of complex problems present that the patient is completely unaware of, or if aware, feels no urgency in starting treatment. If we are going to be effective in treating patients who present these complex issues, we must have a system of diagnosing and presenting the possibilities of what modern dentistry can do for them in an efficient, non-threatening and engaging way.
CO-DIAGNOSIS: CREATING AWARENESS AND ASSESSING INTEREST
“Co-diagnosis” is a concept that empowers and encourages our patients to take an active role in developing their own treatment plans based on the personal goals they have for their dental health. Digital photography plays a key role in co-diagnosis, as it allows us to take the patient on a virtual tour of their own mouth. Our job is to simply report our exam findings and discuss the consequences associated with their current dental condition and the options available should they choose to proceed with treatment. We then can work with them to establish realistic, achievable treatment outcomes that fit their current circumstances. Digital photography allows the patient to see what we see and dramatically increases their level of awareness of their dental condition, while helping us assess their level of interest in what modern dentistry can do for them. Put simply, co-diagnosis is a “whole mouth” approach rather
than a “tooth focused” one. Co-diagnosis is a process, not a single event, which helps create emotional experiences that lead our patients to ask for the treatment they essentially need.
Once all this information has been gathered through a comprehensive exam and evaluation of photographs, we then have to help our patients establish a treatment plan. Treatment planning, especially in complex cases, can be one of the most challenging things for any dentist. Often times we are faced with teeth that have significant wear, or patients with multiple missing teeth or misaligned teeth. Most dentists are accustomed to treating one or two teeth at a time, but we can’t do this in complex cases. We must look at the entire mouth, especially when tooth position is an issue.
Facially Generated Treatment Planning (FGTP) is essentially a concept of treatment planning from the outside in. Using the face and lips to determine correct position and gingival levels of the maxillary anterior teeth, we establish vertical dimension and make any necessary restorative changes to that new position. If we think back to our dental school training, we were all taught the concept of FGTP when we set up our first denture. We were taught to set the maxillary anterior teeth with the face and lips, set the lower incisors to establish vertical dimension, and set the back teeth to determine the occlusion. This is fairly simple, in most cases.
Co-diagnosis and Facially Generated Treatment Planning help to establish a logical sequence of treatment and empower our patients to make more informed decisions about their dental health. In turn, it also aids us in developing treatment plans that fit the patient’s current condition and circumstances.


Dr. Scott T. Keys graduated from LSU School of Dentistry in 1996 and is a PDS® -supported owner dentist at Westpointe Modern Dentistry and Orthodontics in New Braunfels, TX. He has served as a leader of both Seattle Study Clubs and Spear Study Clubs and is a current member of the Spear Education Faculty Club.
by Dr. Alex Sharifian and Dr. Brad Guyton
[OWNER DENTIST]
Oh, how I wish I had never hired an associate! Life was so much simpler back before I had to manage her. She expects so much more than I did when I was starting out… Seriously, these Millennials!
[ASSOCIATE DENTIST]
I signed on for this job because the dentist made promises— none of which he has kept. I am stuck here so I can make my loan payment, at least until I can find another opportunity… Seriously, these Gen Xers!
Sound familiar? Bringing on a new associate is often one of the most difficult decisions a dentist encounters in his/her career. We all too often forget the pressure, insecurity, and vulnerability we felt when we left dental school and headed out for our first real job as a new dentist. This article will focus on the three areas of alignment needed to successfully integrate another dentist into your dental practice, and the tools that will help drive these outcomes:
Core values alignment Cultural philosophy identification
Expectations alignment Owner/Associate expectation sheet
Clinical outcomes alignment Clinical guidelines document
Core Values: Identifying Your Cultural Philosophies
The first step in welcoming a new associate to your practice is to ensure that they understand and are willing to embrace the culture you have created for your practice. There are certain aspects of your practice that are very meaningful to your core values, such as the morning huddles, the way you communicate with patients, team interaction and camaraderie, etc. You may also want to discuss your leadership style and approach to coaching. It’s important that your new associates are open to your feedback and direction. When communicating these cultural philosophies to them, you can also identify behaviors that will help them integrate into this culture and feel part of the team. Documenting these core values and desired behaviors can serve as a tool to ensure they remain clear and stay at the forefront of the mind.

Brad Guyton, DDS, MBA, MPH, serves as Dean of Dentist Development for Pacific Dental Services ® and as Associate Professor at UCSDM. He practices dentistry in Denver, CO. He can be reached at GuytonB@pacden.com

Expectations: The Owner/Associate Expectation Sheet
Setting expectations for your new associate from the very beginning will help them get started on the right foot. It will be hard for them to reach their full potential when they don’t know what goals they are striving toward. An owner/associate expectation sheet is a great tool to document what you will require of your associates. This may include mandatory attendance at meetings, protocols for greeting and interacting with patients, team member interactions, goals for their clinical and professional development, etc. You and your new associate can use this sheet during your one-on-one meetings to discuss any issues and track their progress towards goals.
Clinical Outcomes: The Clinical Guidelines Document
If you asked a group of practitioners what defines the quality and success of clinical outcomes, each one would likely have a different answer. As a practice owner, you want to maintain the integrity of your practice by ensuring that patient treatment and outcomes are consistent with the level of care you would provide yourself. By creating a clinical guidelines document, you will be able to share your personal definition of quality and success with your associates. This can be used in conjunction with the Owner/Associate Expectation Sheet discussed above to ensure that you and your associate are aligned on the behaviors that will translate to the success of the practice as a whole.
You interviewed and selected a new associate because you felt that it would add value or serve a specific purpose for your practice. We need to take the time to make them feel welcome in our practice and provide them with the tools, mentorship, and coaching that will help set them up for success. It will save a lot of headaches in the long run and will only benefit your patients, your team, and the integrity of your practice.

Alex Sharifian, DDS, was one of the first Pacific Dental Services-supported owner dentists, and is currently a multiple-office owner dentist, member of the PDS ® National Dental Advisory Board, and Chair of Owner Doctor Development for the PDS Institute ®. Dr. Sharifian can be reached at SharifianA@pacden.com
For people with mental health and substance use conditions, wellness is not the absence of disease, illness or stress, but the presence of purpose in life, active involvement in satisfying work and play, joyful relationships, a healthy body and living environment, and happiness.1
Wellness means overall well-being. It incorporates the mental, emotional, physical, occupational, intellectual, and spiritual aspects of a person’s life.
Coping effectively with life and creating satisfying relationships
Good health by occupying pleasant, stimulating environments that support well-being
Satisfaction with current and future financial situations
Recognizing creative abilities and finding ways to expand knowledge and skills
Personal satisfaction and enrichment from one’s work
Recognizing the need for physical activity, healthy foods and sleep
Each aspect of wellness can affect overall quality of life, so it is important to consider all aspects of health. This is especially important for people with mental health and substance use conditions because wellness directly relates to the quality and longevity of your life.
That’s why SAMHSA’s Wellness Initiative encourages you to incorporate the Eight Dimensions of Wellness in your life. 2
Developing a sense of connection, belonging, and a well-developed support system
1Dunn, H.L. (1961). High-Level Wellness, Beatty Press: Arlington, VA.
2 Adapted from Swarbrick, M. (2006). A Wellness Approach. Psychiatric Rehabilitation Journal, 29(4), 311–314. Retrieved from http://www.promoteacceptance.samhsa.gov/10by10/dimensions.aspx





by Judy Forsythe Director of Dental Assistant National Strategy
DeAnn Gerhart is a registered dental assistant in the state of California. Her career started in high school, when her mother urged her to attend an ROP training course. She was hired soon after her training. She worked as a dental assistant for a couple of years, until her dentist retired. DeAnn then left her dental assisting career, not to return for 15 years.
Judy: What attracted you to PDS ® ?
DeAnn: I did not pick PDS… PDS picked me! In 1993 I was a stayat-home mom with three babies. My husband, Earl, and I were just starting out. One day Earl came home and said he lost his job as a truck driver, his company closed their doors. It was not long before he got another job and it happened again, that company closed their doors, too! With three babies and a mortgage, I decided to go back to work and help out. I wasn’t sure where to start. One of my best friends reminded me that I had dental assisting experience, and encouraged me to get a job as a dental assistant. I went to three offices on three different interviews in one day! A PDSsupported office took a chance on me that day and I was hired! For that I will forever be grateful.
I started in the Victor Valley Dental Group office in March 1993, where I was fortunate to work for Dr. Carolyn Ghazal. After working there for seven years, I needed to relocate and move to West Covina. Steve Thorne approached me and
mentioned that I could transfer to the Inland Empire Dental Office in Upland, and I did. I was so happy to be able to stay at a PDS-supported office. It was there that I first became a lead assistant, and I have held that position ever since. In 2006, I was given the opportunity to transfer to North Rancho Cucamonga Dental Group and Orthodontics, where I was once again given the opportunity to work for Dr. Carolyn Ghazal.
Judy: Why have you stayed through the years?
DeAnn: I stayed because of Steve’s vision… it was amazing! You knew wherever he was going, it was going to be big and I wanted to be a part of it. In addition to Steve’s vision, PDS gave me the opportunity to grow with them. The people are amazing! It’s like my extended family away from home. I have had the opportunity through the years to work with some awesome dentists, assistants, managers, benefit coordinators, receptionists and more.
Judy: What advice would you give to a new dental assistant?
DeAnn: I always give the advice my grandfather gave to me: “If you love what you do, you will never work a day in your life.” For a new dental assistant, never stop growing. There are so many opportunities with PDS that you can take. PDS-supported offices have the latest and greatest technology, and they give you the opportunity to learn. You can always evolve and set your own course.
Judy: Any final words to close?
DeAnn: I’m a people person and I like working with patients one-on-one, talking to them and helping them from start to finish. There is something really gratifying about their transformation to a healthy and beautiful smile. They go from hiding their smile to beaming when they leave!
My career as a dental assistant with PDS spans the past 21 years. It has been such an amazing experience to be part of this organization!
by Dr. Brad Guyton and Rebecca Sorci
We hit the ground running in 2015! We currently have 15 faculty members and 20 disciplines being built out and piloted for dentists in PDS ® -supported environments. Here are some updates:
• Each discipline is created into an educational “track.” Most tracks will be reserved for PDS-supported owner dentists and high potential associate dentists.
• All tracks are being piloted in different regions in 2015 and early 2016. If you’re interested in attending a specific pilot, reach out to Lacey Schicker (SchickerL@pacden.com).
• Each track is designed to engage dentists at a higher level—in order to build confidence and competence; we use an instructional design model of pre- and post- work. You will be asked to engage at a different level than you are accustomed to in CE, but we know it works and will empower you with the tools you need to make behavioral changes that benefit your office and patients.
• Each track is edited and sourced through the Organizational & Talent Development instructional design team led by Dana Gross. Great work, Dana and the O&TD team!
• Smaller “sprints” will be made available to PDS-supported associates to complement their ICE Essentials.
• ICE Essentials is being updated in 2015.
• Dr. Scott Cairns and Dr. Scott Sauer kicked off the first two pilots in 2015. Both were successful, with dentists improving in how they practice occlusion and implant restorative. Thanks to Valerie Kendrick for supporting Dr. Cairns in Colorado and to Lacey Schicker, Jen Coll, Mario Mariscal, Mark Laramore, and David Nohe in supporting Dr. Sauer’s efforts in Houston!

• Congrats to Dr. Dhaval Patel for winning the ECHO case competition at the Q1 2015 Owner Doctor Meeting!
• Congratulations also go to Dr. Jamie Toop, who lectured on the oral systemic link at the CDA Presents trade show in Anaheim. Her powerful content and engaging presentation struck a chord with the audience, and there was not an empty seat in the room.
• ICE orientation weeks continue to be a huge success with new supported dentists. A special thank you to Laurie Knaup for her dedication to the dentists all these years. Laurie has moved to the Pacific Northwest Region to work with Amin Neghabat’s team as the Regional Support Office Manager. Ben Ovando has taken over for Laurie at NSC. Welcome, Ben!
• Lacey Schicker was promoted to Program Manager of the PDS Institute in early 2015 and Ashley Goldberger; has joined the Professional Partnerships team. Congrats to Lacey and Ashley!
• We will be piloting some more new associate boot camps in the Rocky Mountain Region this summer, with the intent to more effectively build confidence and competence in new associates.
Finally, thanks to all the faculty and chairs for their tireless efforts in going above and beyond to create and execute content that benefits all supported clinicians and teams. You are the heart and soul of the Institute!




PDS ® is proud to announce the newest additions to our family of supported owner dentists. Having such a successful number of owner dentists is a testament to the effectiveness of our PDS-supported owner dentist model. The progression from associate dentist to owner dentist is significant, not only for these amazing individuals, but for the future of the company, as our success is sustained by the growing number of new owner dentists every year. Every owner dentist who chooses to invest in a practice supported by PDS is an indication of the growing strength of the PDS platform.
It is with great pride that we welcome the following new supported owner dentists who best represent PDS and everything we offer!


Dr. Jennifer Yanga Mountain Dental Group
February 2015


Dr. Ghazal Vala
Mission Dental Group and Orthodontics
March 2015


Dr. Christian Peralta
Spanish Springs Modern Dentistry
May 2015


Dr. Marya Polan Alameda Landing Dentistry
March 2015


Dr. Joshua Frye Albuquerque Modern Dentists
April 2015


Dr. Neusha Najafi Anaheim Hills Dental Group and Orthodontics
May 2015


Dr. Bryon Talbot Layton Smiles Dentistry and Orthodontics
January 2015


Dr. Thomas Szutz Petaluma Modern Dentistry
March 2015


Dr. Jenna Zonneveld Tempe Modern Dentistry and Orthodontics
April 2015


Dr. Nhan Dang
Hub Plaza Dental Group and Orthodontics
May 2015


Dr. Erick Cuenca Marketplace Smiles Dentistry
February 2015

Dr. Maryam Tabatabaei Hulen Modern Dentistry
March 2015


Dr. Timothy Windham League City Modern Dentistry and Orthodontics
May 2015


Dr. Esmeralda Chiang Atascocita Modern Dentistry and Orthodontics
May 2015


Dr. Vicente Knight Green Valley Dental Group and Orthodontics
February 2015


Dr. Elena Gogiltan-Waxler Simi Valley Dental Group and Orthodontics
March 2015


Dr. Janki Patel
Johnson Ferry Dentistry and Orthodontics
May 2015

Dr. Cynthia Blendermann
Falcon Landing Dental Group and Orthodontics
May 2015

Chief Condition:
Patient presents with longstanding extra-oral abscess on the lower right chin, associated with tooth #30. Without treatment, this young girl may have died within weeks.
One Key Learning:
The fear and dread in her family members eyes and voices was clearly evident as they hovered beside our operatory door. They were all extremely grateful.
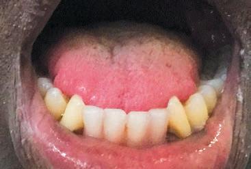
Chief Condition:
Anterior esthetics are important to Ethiopians, even in the rural areas. This patient presented with broken #9 and walked away with a new smile after Dr. Moss completed some composite work.


In April of 2015, six doctors (Dr. Tanisha Jackson, Dr. Eric Ellis, Dr. Jack Moss, Dr. Hamid Abedi, Dr. Charles Rodgers and Dr. Brad Guyton) joined Steve Thorne, Scott Beck and a large support team to serve in Ethiopia. The team also invited Dr. Jack Dillenberg (Dean of ASDOH) to attend. While in Ethiopia, these six doctors and the support team served over 540 patients and provided more than $360K in donated dentistry. Below are some examples of cases that define excellence in clinical and human outcomes in Ethiopian field dentistry:
Case Discussion:
Patient is only 13 years old and has not been able to attend school for a great length of time due to her condition. Typically, an extra-oral abscess would require an external incision to allow drainage, but with no clear foci, long-term diffuse swelling, and no easy access to physicians if we encountered difficulty, the choice was to administer additional anesthetic intra-orally to the point where it actually drained externally.
Chief Condition:
An 11-year old boy presented with an abscessed lower incisor. Upon extraction, we determined that a year ago the child had done his own root canal with a small stick that was still protruding from the apex.

We would manually drain what we could externally, and then follow up with a large volume of antibiotics, but at a lower dose than usual due to the limited exposure that Ethiopians have to medicines.

Chief Condition:
A 22-year old male was missing teeth and having a hard time finding work. We taught the dental students to take impressions, pour models, and create a lower removable prosthesis for this patient.




The National Support Center hosted the inaugural PDS ® Trainer Certification event in March. Three cohorts of trainers have graduated to date, with a fourth group scheduled for June in Sacramento.
The front office and back office trainers attended a workshop hosted by one of the industry’s top training development companies, The Training Clinic. Trainers received certification after demonstrating their knowledge of adult learning principles, verbal and non-verbal presentation techniques, and instructor-led workshop management skills.
As part of their certification, front office trainers were also required to attend a two-day training session on the new front office and benefits coordinating courses, and
by Deb Weiss Director, Learning and Development
to pass knowledge assessments with a perfect score of 100%. Back office trainers completed their certification by demonstrating infection control workshop knowledge in a live classroom setting led by content experts in the field.
The Trainer Certification Program helps ensure consistent delivery of key skill and knowledge training in the field.
These dedicated trainers and subject matter experts have taken their already considerable skills to the next level, and will have even more impact on the quality of training and development in their regions.
Please join us in congratulating your new PDS Certified Trainers:
Lisa Ali, Front Office Trainer, Pacific South Coast
Erica Bailey, Operations Manager, Pacific South Coast
Danielle Cuthbertson, Manager, Billing, ROC
Holli Gallaher, Front Office Trainer, Rocky Mountain
Margaret Gutierrez, Operations Manager II, Northern California
Lindsey Haas, Front Office Trainer, Gulf Coast
Dana Harelstad, Benefits Coordinator, Minnesota
Mike Hartkopf, Manager, Field Talent Development, O&TD
Lisa Lewis, Operations Manager II, Southwest
Stephanie Maddox, Operations Manager, Southwest
Joanne Miles, Regional Support Manager, Midwest
Michiyo Montalvo, Operations Manager, Pacific South Coast
Liz Oliveira, Operations Manager II, Southwest
Meri Parker, Front Office Trainer, Rocky Mountain
Shaina Parr, Front Office Trainer, Desert Mountain
Jillian Penhall, Front Office Trainer, Pacific Northwest
Alissa Pope, Regional Support Manager, Desert Mountain
Tiffany Rivens, Operations Manager, Georgia
Rachelle Willie, Specialty Regional Manager, Pacific Northwest
Erik Altman, Regional Manager, Midwest
Florence Anaya, Operations Manager, Southwest
Jose (JR) Arellano, Operations Manager, Gulf Coast
Nicole Brown, Regional Manager, Desert Mountain
Gracjanna Burris, Operations Manager, Southwest
Tamara Jackson, Regional Collections Specialist, Desert Mountain
Tracey Kroehle, Operations Manager, Texas
Alicia Lowry, Regional Manager, Desert Mountain
Jessica Maldonado, Operations Manager, Southwest
Brandi Mortensen, Regional Support Manager, Rocky Mountain
Michael Nguyen, Regional Manager, Desert Mountain
Monica Prince, Operations Manager, Texas
Melissa Rosenzweig, Operations Manager, Southwest
Cullen Shirley, Regional De Novo and Development Manager, Operations
Cassie Hughes, Regional Back Office Manager, Rocky Mountain
Jessica Garcia, Lead Assistant Coach, Rocky Mountain
Barb Johnson, Lead Assistant Coach, Rocky Mountain
Davena Drowns, Regional Back Office Manager, Desert Mountain
Alicia Estes, Specialty Regional Back Office Manager, Desert Mountain
Selina Thorne, Regional Back Office Trainer, Midwest
Alyse Meyers, Regional Back Office Trainer, Pacific Northwest
Stephanie Thorne, Regional Back Office Trainer, North Central Texas
Charlotte Ramos, Regional Back Office Trainer, North Central Texas
Erica Devlin, Regional Back Office Manager, Southwest
Ashley Reich, Regional Back Office Manager, Northern California
Armando Borroel, Specialty Regional Back Office Manager, Southwest
Anthony Oddo, Regional Back Office Trainer, Georgia
Alvin Malit, CAD CAM Trainer, Gulf Coast
Tamara Martinez, Regional Back Office Trainer, Gulf Coast
Matt Kiley, CAD CAM Trainer, Northern California
Luis Moran, Regional Back Office Manager, Pacific South Coast
Carlos Moran, CAD CAM Trainer, Pacific South Coast
Stephen Mallipudi, Field Development Specialist, National Support Center
Monique Felix, Field Development Specialist, National Support Center
by Gary Pickard Director, Government and Industry Affairs
The battle for your time and money is on.
Doctor! Over here! Let me show you something! If you’ve ever been to a dental convention you’ve heard this and experienced firsthand what it’s like to have vendors fight for your attention, and your dollars. You may also have heard that convention halls are shrinking, along with attendance and membership. These are major challenges facing organized dentistry. If only the associations were fighting as hard for your attention.
I’m here to tell you that some are. Now, if you don’t care, or aren’t interested in organized dentistry, feel free to stop reading. If you do though, and understand the importance for your profession to have a growing and thriving trade association, read on.
There’s a shortage of volunteers, but no shortage of critics.
There’s always a shortage of volunteers. Over the past decade, my children played several organized sports. As someone who didn’t grow up playing soccer, I was surprised that this was the sport my family would devote our weeknights and weekends to. When the kids were younger, I volunteered to do everything—I was a line judge, an assistant coach, then a head coach, a manager, and finally an official referee for AYSO. Please understand, I did NOT initially volunteer because of my love for soccer or because I wanted to learn
more about the glorious sport played all around the world, but simply because they needed help.
Unfortunately for the kids, my lack of knowledge and experience meant that they didn’t get the best possible person for the job. As a coach, I wasn’t always giving them the best exercises; burpees got me strong in boot camp, they should work for 6 and 7 year olds, too (or so I thought), but at 6, my son couldn’t do a jumping jack, let alone a push-up. I wasn’t up to speed on the latest and most appropriate stretches, either—I remembered doing windmills in Pop Warner football. Windmills. I think those were outlawed along with dodgeball. I’m sure there were plenty of parents on the sideline who would have made better coaches and referees, but for whatever reason, they didn’t volunteer.
Are you a member of the American Dental Association (ADA)?
Are you currently on the sidelines wondering who’s making those ridiculous decisions in organized dentistry? Do you think that you could do a better job? I think you do, and I bet you could. Like me with AYSO, there are some who simply wanted to help our industry. Thankfully, some who have volunteered are great, and there are plenty of opportunities for others who are still interested.
Give thanks and get involved.
Some of your colleagues are in the great category and are contributing mightily to organized dentistry. Below are just a few examples of PDS ® -supported dentists across the nation who are active and involved in their local and/or state dental components:
• Dr. Miran Ho, Central Arizona Dental Society Board Member, New Dentists Committee Chair, AzDA House of Delegate
• Dr. Andrea Janik, ADA New Dentist Committee, TDA

Membership Committee, & San Antonio District Dental Society Alternative Delegate in TX
• Dr. Kelley Ryals, Santa Fe Chapter Secretary in NM
• Dr. Michael Perpich, Immediate Past President of MDA in MN
• Dr. Chris Claus, CDA Council on Membership in CA
• Dr. Nicole Olivares, Member of the Oregon Dental Associations’ Board of Trustees, Secretary / Treasurer of the Oregon Society of Periodontists in OR
If you know any of them, reach out and say thanks, because unlike me, they’re well qualified and making a positive difference in your profession. You may even want to ask if they need help or how you can get involved. I know they’d be happy to answer any questions and would encourage you to participate. And I bet once you do, you’ll be hooked too.
Local involvement, national impact.
Per Wikipedia, the online source of all information, former Speaker of the House Tip O’Neill is most closely associated with the phrase, “All politics is local.” Perhaps I’ll get credit for, “All involvement is local.” Similar to politics, the ability to influence policies and better understand issues increases the closer we are to them.
As practicing dentists, you are the closest to the challenges facing your industry. And you, as DSO-supported dentists, understand the DSO model best and are best equipped to help organized dentistry understand this business model and to share how it benefits the industry as a whole.
If you’re interested in learning more about how you can get involved and the support available to you, email Gary Pickard, Director of Government and Industry Affairs, at PickardG@pacden.com or call him at 949.689.6028.
by Delara Cerda Dental Hygienist at Victorville 2
It has always been our dream to visit Antarctica. My husband is a true adventurer and very enthusiastic about both polar regions. For as long as we have been together, these regions have frequently been the topic of our conversations. After returning from the North Pole last August, we were both determined to see the pristine continent of Antarctica, especially since global warming is affecting both of these regions.
No words, no conversation, no photographs could have prepared me for this incredible journey. We left Ushuaia, Argentina, the world’s southernmost seaport on a decommissioned Norwegian coastguard icebreaker ship, which became our home for a month. With its very basic and simple accommodations, it was hardly a luxury cruise. Several days on the open seas crossing the most treacherous body of water on Earth is enough to clear one’s head of all the trappings of everyday life. Moving through Drake Passage is literally a rite of passage for anyone entering this incredibly pristine land.
We had no communication whatsoever with the outside world, which was a complete blessing! One big reason we chose to visit Antarctica was for the abundance of wildlife. Photographing wildlife has been our passion, and seeing several different species of whales, seals and Antarctic birds was one of the most incredible experiences of our lives. Seeing penguins by the thousands was an experience I will never forget!
Have you accomplished a major personal feat outside of work? Climbed the highest mountain, completed an Iron Man or volunteered for an honorable cause? We want to hear all about it! Submit your stories to LivingItUp@pacden.com.





The Grand Prize Winner:
PDS-supported Las Tiendas Dental Group for their amazing Brady Bunch-themed submission.

The Runner-Up Winner:
Scott McAuley, Operations Manager at PDS-supported My Kid’s Dentist® in Murrieta, CA.
PDS-supported Weekly Winners:
• Gemaline Nodalo
• Shyanne Heinrich
• Tony Lu
• The Las Vegas Traveling Orthodontics Team
• Tri-City Smiles Dentistry and Orthodontics
• Carisa Litzinger
• Las Tiendas Dental Group
• Gresham Modern Dentistry and Orthodontics
Below is some feedback we received from the weekly winners:
“YAY!! My team was very motivated by the sweepstakes. We created the sign as a team, and I was the lucky one to get on top of the snow hill to take the picture. The best part was after my team took my picture. I was getting out of the Henry Schien Box and I ended up sliding backwards down the snow hill—lots of laughs from the team and region that day! Events like this bring my team together to laugh at their boss and take a break out of the day to show why PDS rocks—definitely the people! My entire team sent the sweepstakes over their social media, and we also sent it to the entire region. I feel this was a great way to take a step away from our daily routine and bond as a team!”
—Shyanne Heinrich, Operations Manager at Richfield Dentistry, Week 2 Winner
“Everyone was excited about the campaign, but it was tricky finding time to do it. We like to be creative and different. We all agreed that it was a cool, fun idea from PDS. We try to do little things like that in our office all the time (little competitions, challenges, etc.) to keep us motivated. It was funny because we all were thinking that it was us, as a team, that makes PDS rock for us.”
—Theresa H., Specialty Benefits Coordinator at Tri-City Smiles Dentistry and Orthodontics, Week 5 Winner
“I think at first they were so concerned about the growth we have been having that they were extremely focused. I put the contest on the fridge with sign-up sheets and we went over it in the morning huddles. I think they really got involved when I put the hair cut out there—then they were really tracking it and getting excited. I want to thank you; this program gave us a reason to really have some fun all month long and to get closer as a team.”
—David
Ligatich, Operations Manager at Gresham Modern Dentistry and Orthodontics, Week 8 Winner

DOUG
FIELDS
Doug Fields is a communicator, consultant and writer. He’s the author of 50+ books – primarily on relationships and he works with the HomeWord Center for Youth/Family at Azusa Pacific University.
I’ve been married for 30 years and have always believed it was a great idea for Cathy and I to have a weekly time where it’s just her and I being together (we’ve called it our Date Night). Like every couple, we’ve had good reasons to not make it a priority, but we just knew in our guts that it was the right thing to do to enhance our relationship.
Now the benefits go beyond our gut-feeling and belief— research has proven what our heart knew to be true. According to The University of Virginia’s National Marriage Project (nationalmarriageproject.org), quality couple time increases marital/relational satisfaction. Social scientists studied date night initiatives that have been popping up all over the country and their investigation identified key components of date nights and quality couple time that leads to increased satisfaction. The descriptive words used in their report are: Communication, Novelty, Eros, Commitment, and De-Stress.
There are many other benefits as well: Dating creates anticipation within a relationship—a planned date on the calendar gives you something to look forward to all week. Dating gets you out of the house. Dating breaks the routine of the week. Dates that include

play, laughter, dreaming and adventure keep your relationship from being consumed by the grind of life. Now it’s verified by research! Dating your mate makes a difference. So strengthen your relationship by getting a regular date on the calendar.
Are you ready to make a weekly date a priority? What do you need to cut out of your schedule to make this work?
Join the PDS ® Date Your Mate Challenge and you may win a fully paid dream date. Someone is going to win it… why not you?
Check out the “Date Your Mate” announcement on the PDS Connect homepage for more details. It’s as simple as taking a photo on your date and posting it to Instagram using the hashtag: #pdsdateyourmate
Pam and I cheer on the Date Your Mate Challenge. We’ve been committed to a weekly Date Night for 17 years!” – Steve Thorne
1
Dating keeps lines of communication open. When mobile devices are left in the car and an emphasis is placed on knee-to-knee, eye-to-eye contact… this type of date focus allows for extended conversation and a deepening of relationship.
4
Dating shows commitment to the relationship. It’s a signal to children, family and friends and says, “We’re investing in our relationship.” It also communicates, “Our time together is valuable.” One of the greatest gifts you can give your children is a strong relationship—it settles their young soul and gives them a sense of confidence that their parents plan on being together.
2
Dating is the perfect time for couples to try something new. To get the most of dates, the encouragement is to go against the simple “dinner and a movie” routine. While “food and a flick” are better than nothing (if you’re currently not dating your mate)… there are just so many options available for adventure that require little effort and bring about new memories.
5
Dating gives couples extended periods to de-stress. It provides the perfect platform to remove stress and distractions.
3
Dating rediscovers passion and sparks sexual intimacy. Over time, couples experience a decline in their romantic pursuit of one another. Date nights allow the sparks to be rekindled when you dress up, make a reservation at a restaurant that doesn’t have plastic forks, and don’t need to rush home.

Delara Cerda, PDS Serve Foundation™ scholarship recipient and hygienist from Victorville 2 and Hesperia 3, recently made the journey to Ethiopia. Here is the story of how she was transformed by the experience and, more significantly, the people.
I was born and raised in a third-world country that turned into a war-torn zone, forcing my family to flee. We migrated to a neighboring country, where we lived in substandard conditions for almost a year. At the end of that year, my family and I were blessed with refugee visas to move to the Western world.
Since the time we left our native country, it has been my dream to go back someday and serve the people in the impoverished communities. Unfortunately, due to safety issues, I haven’t been able to return to my country and provide the services those communities, especially the girls and women, so desperately need, since they don’t have access to health and dental care facilities.
When I first began working in a PDS ® -supported office and learned about the PDS Serve Foundation, I was beyond ecstatic! Serving and providing dental hygiene treatment to people in countries such as Ethiopia has always been my passion. I had been dreaming about this opportunity for a long time, and to be part of something so amazing and to work alongside the team was life-changing for me. I am truly grateful to the Foundation for giving me this incredible opportunity, and for the scholarship I was granted so I could finally fulfill this dream.
Providing dental hygiene treatment to the people of Ethiopia has been one of the most humbling and rewarding experiences of my life. Seeing the way they express their gratification, with the big smiles on their faces and hugs, was something I will never forget and will always cherish. It was amazing to see how thankful and grateful these people are. They appreciated everything we did for them regardless of how minor it was. They don’t take things for granted, as some people do in most Western countries, and they are truly thankful for the little that they do have.
It was a truly heart-warming and life changing experience for me to interact and serve such humble and grateful people. This was such an incredible experience, and I hope I am given the opportunity to serve this region again!







Opened in February
Opened in March
Opened in April
Opened in May
Opened in June
TUCSON 7
Arizona. Opened 2/04/15. Tucson Spectrum Dentistry
FRESNO 1
California. Opened 2/04/15. Marketplace Smiles Dentistry and My Kid’s Dentist®
AUSTELL
Georgia. Opened 2/17/15. Austell Smiles Dentistry and Every Kid’s Dentist®
CYPRESS 3
Texas. Opened 3/05/15. Cypress Crossroads Dental Group
WESTMINSTER 3
Colorado. Opened 3/10/15. Hidden Lake Dental Group
SACRAMENTO 1
California. Opened 3/11/15. Arden Modern Dentistry
Opened 3/17/15.
VISALIA 1
California. Opened 3/23/15. Packwood Creek Dental Group
Minnesota. Opened 3/25/15. Woodbury Smiles Dentistry
California. Opened 4/17/15. Alameda Landing Dentistry
Texas. Opened 4/24/15. Tomball Smiles Dentistry
Arizona. Opened 4/28/15. Flagstaff Modern Dentistry
Texas. Opened 5/07/15. The Woodlands Modern Smiles Dentistry and Orthodontics
AURORA 6
Colorado. Opened 5/19/15. Aurora Dentistry
ALBUQUERQUE 6
New Mexico. Opened 6/02/15. Albuquerque Dentist Office
KENT
Washington. Opened 6/09/15. Kent Smiles Dentistry
RIO RANCHO 1
New Mexico. Opened 6/18/15. Enchanted Hills Dentistry
ST. LOUIS PARK
Minnesota. Opened 6/23/15. Knollwood Dentistry
VISALIA 2
California. Opened 6/24/15. Visalia Modern Dentistry




















“The team at Menifee hosting a painting party“
“Angelica from Oro Valley 2 along with a Wildcat fan at a U of A softball game. Go Cats!“


“The Arnold team sponsored the Easter Bunny at the Easter Egg Hunt in Arnold“




“Escondido 2 celebrating St. Patrick’s Day“


“MKD team from San
at a community event“
“Redlands




“Father and daughter at a YMCA father daughter dance sponsored by

“Claremont’s Dr. Lee and her son during Relay For Life®“

“YMCA Military Father Daughter Ball at Antlers Hilton Hotel sponsored by Colorado Springs 3“
“Dr. Dimitri and the team at Eastvale celebrating World Water Day“


“Pearland 1 showed their Rockets theme day love“
“St. Baldrick’s Charity Head Shave with Highlands Ranch 2“


“Fresno and Clovis MKD team members volunteering to sell newspapers for Kids Day“
“Woodbury’s ribbon cutting“


“Humble 1 had a blast during the Daisy Troop’s visit to the office“
“Placerville celebrates their Grand Opening!“

“Conyers Law Enforcement Appreciation Day“


“Dr. Sconion and the Snellville team at their ribbon cutting“
“Teddy bear collection for UNM Carrie Tingley Hospital at Albuquerque 3“

“Superhero day at Pflugerville 1“


“Fountain MKD staff“

“Castle Rock at Fairgrounds Centre supporting National Children’s Dental Health Month“

“Kansas City 1 and Dr. Nguyen walking in a St. Patrick’s Day parade“
“League City 1 rocking their new LC4L (League City For Life) shirts“


Girl Scouts playing dentist at Humble 1“


“Fontana NCDHM presentation at West Heritage Elementary“
“Oxnard 2 at the Latino Business Expo“


“Apple Valley 1 during Give Kids A Smile Day“
“Fresno area employees volunteering for Kids Day“


“Humble 1 went all out for Astros theme day“
“Colorado Springs 1 at YMCA Healthy Kids Day connecting with local community“


“Jerry can reaches Highlands Ranch 2“


“Pearland 2 had a fantastic grand opening“

“Castle Rock at Fairgrounds Centre supporting National Children’s Dental Health Month“
“The Redstone and Marketing teams having fun“



“Colorado Springs 4 sending thank you baskets to referring offices“
“Escondido 2 celebrating Administrative Professionals Day“
“Colorado Springs 2 at Best of the Springs Announcement Party at Pikes Peak Center“


“Dr. King and his team at Rio Rancho 2“
“Albuquerque 5 at the Rio Rancho Acts of Kindness Day“


“Castle Rock at Fairground Event Centre for National Children’s Dental Awareness Month“

“New Mexico Regional Manager, Amy Gamboa, at the Sedona Marathon“

“Dr. Lee and the staff at Palm Desert 1 celebrating World Water Day“
“Hesperia with Chuckie“


“St. Baldrick’s Charity Head Shave with Highlands Ranch 2’s Doctor G“
“Clackamas May 2015 Serve Day“


“RMA Amanda Henderson attends the Sacramento Kings Blood Drive“

Director, Operational Support
6/15/95
It is my pleasure to congratulate Dave on 20 years of invaluable service to Pacific Dental Services ®. Dave’s unique balance of operational insight and analytical skills has helped him to excel in every role and challenge he has taken on. It is not uncommon to hear him say, “I am happy to help in any role where I am needed.” These are not just words for Dave; he has served in several positions and he truly wants to help wherever he can. Congratulations on 20 years!
–Jon Thorne

YOLIE ROBLES
Registered Dental Assistant 4/07/95
We are very lucky to have Yolie here at both our Bear Creek and Clinton Keith offices. Her years of service and dedication to PDS are phenomenal! The experience Yolie brings to the office is evident in how she interacts with her doctors and patients. She has patients ask for her by name and who will only schedule if “Yolie is there”.
–Lisa Lewis





People Services Coordinator 4/25/2000
Kellie is a team player and a valued member of the PAL team. Kellie brings a deep PDS ® experience to the team that is very much appreciated. She knows the “We Believes” and is consistent in applying them in her interactions with both the team and the field. Her passion for learning and service excellence is appreciated by team members and customers. Thank you for your service Kellie, and congratulations on 15 years!
–Wade McNair
Dental Assistant, Lead 5/22/2000
Cynthia has been one of the hardest working, most loyal and dependable employees I have ever had the pleasure of working with. She is always looking out for our team members, our patients and our sister offices, and no matter how stressed she may be, you don’t know it because she always has a smile on her face. I am so thankful that you decided to take this journey with me 15 years ago. I could not have chosen a better partner. I am so VERY proud of you. Thank you Cynthia, for all you have done for us. We love you.
–Theresa Ortega-Gomez
Registered Dental Assistant 4/05/2000
Thomas has always been a great assistant. He works hard for the office and Dr. B. Watanabe. He is always there when you need him and he is always looking out for the patients and staff. He is always willing to help and has coached a lot of our DAs to become great RDAs. Thank you Thomas for a great 15+ years.
–Theresa Ortega-Gomez



Director, Government and Industry Affairs
5/01/2000
Gary is an important member of the PDS family and has been for 15 years. His efforts to build bridges for PDS in the dental and insurance industries have led to many inroads. Among other accomplishments, he broke new ground with the National Association of Dental Plans, working with them on many joint initiatives. He was recently appointed to a highly coveted position on the NADP Government Relations Committee. Gary has forged important relationships for PDS in the dental industry on many levels. Anyone who knows Gary will agree that he exemplifies the PDS values of honesty, integrity and high personal character. Thank you to Gary for his many years of service to PDS.
– Steve Thorne
Multiple-Office Owner Dentist 5/01/2000
It is a pleasure to support Dr. Jackson in her leadership of her Redlands team. Her enthusiasm and service heart are evident in so many ways. She serves her patients, team and community with passion and loyalty. You will also find her service heart helping others through Serve Day, Braveheart, the PDS Serve Foundation™, Special Olympics and annual trips to Ethiopia. Congratulations on your 15-year anniversary!
– Paula Larson
Dental Assistant, Lead 5/10/2000
Rachel has been an integral part of our High Desert Smiles team. She leads by example with her professionalism and dedication to our patients. Thank you for all your hard work. Once again, CONGRATULATIONS Rachel on your 15-year anniversary with PDS!
– Sonia Martin

Registered Dental Assistant, Lead 4/01/2000
Minerva “Minnie” Ortiz is a gift. She’s such a hard-working team member. She always puts the team and patients interest first. She is an absolutely vital part of our team’s success. I am proud to say Minnie is a part of the Sierra Lakes team. Thank you Minnie, for ALL that you do!
–Angela Davis




Registered Dental Hygienist
6/20/2005
Monica has been an integral part of the successful hygiene and periodontal program here in Santa Clarita. Her passion to educate and build a solid rapport with every patient is key to her success. We are very fortunate to have her on our team. Thank you Monica, and congratulations on your 10 years!
– Michiyo Montalvo
Owner Dentist
6/15/2005
Dr. David Carlisle, OD of Moreno Valley 1, has led his office to accomplish very successful growth. Moreno Valley 1 just had their best month ever in April, and continues to strive to be the best. Patients ask specifically for Dr. Carlisle as they have been referred by family and friends who are very loyal to him. With very low office turnover and a Yelp score of 4.8, Dr. Carlisle has definitely inspired his team to be the “Provider of choice in all the markets they serve.”
– Paula Larson
Registered Dental Assistant 6/22/2005
Leticia is an integral part of the PSC region. Leticia, thank you for all of your help and hard work, we couldn’t do what we do without you!
Congratulations on 10 years of service!
– Orlando Sanchez

Dental Assistant
4/13/2005
Alex loves her patients and can easily create lasting connections with them. Alex has contributed to the success of Rossmoor Dental Group from the very early months of opening, and continues to be a positive influence on the office’s continued success. We are happy to have Alex as part of our “RDG” family!
– Jaime Shaw


Operations Manager
6/22/2005
It has been my pleasure to have been Resha’s RM for the past 10 years. Resha began her journey as a receptionist in a De Novo office and quickly moved from that role, taking on a DA role, BC/SBC role and then finally an OM. In her current role, she has brought a great deal of energy, hard work and value to a new De Novo practice. She takes every opportunity to be both an advocate for the practice and for the community. So proud of you and your success.
– Carol Garner
Multiple-Office Owner Dentist
5/25/2005
What a decade it has been! I remember my first meeting with Dr. Jefferson and how taken I was with his passion. Fast forward — six practices, two partners, one marriage and two beautiful babies later… where did the decade go?
Your commitment to personal growth and the growth of the PSC region is appreciated! Here’s to the next 10 years!
– Paula Larson
DENISE BAEZ
Registered Dental Assistant 5/11/2005
We are so lucky to have someone as caring and kind-hearted as Denise! Her laughter and dedication to supporting the doctors and peers is unparalleled and we look forward to many years to come.
–Alissa Olivieri


Registered Dental Assistant 5/04/2005
We are very lucky to have Carla as part of our team. She brings a positive attitude to work every day and is willing to go the extra mile to get the job done. She is very skillful in her position and a great trainer for our new assistants. We appreciate her and thank her for her years of service!
–Amy Ho
Dental Assistant, Oral Surgery 5/11/2005
Tina is a loyal, dependable and highly-skilled oral surgery assistant who has supported Dr. Izadi for many years. Her dedication and commitment to PDS® and her team equate to very successful days and happy patients. Thank you for living the “We Believes” as exhibited by your daily performance. Congratulations, Tina!
– Marla Boddy


Registered Dental Hygienist 6/15/2005
Nicole’s patients are always excited to see her, telling her everything that’s going on in their lives. Patients are always commenting on how she is so sweet and does such a great job with their cleanings, and you can usually hear them laughing during treatment from down the hall.
– Joseph Jackson
Registered Dental Assistant 4/13/2005
I still remember the day you came in as an orthodontic patient 10 years ago. How time flies! You are a ray of sunshine; you radiate positivity and energy. Your smile is contagious and after all these years, you are still smiling. I appreciate your hunger and eagerness to work hard and create personal connections with your patients and co-workers. You are a fabulous assistant and I am so blessed to have you as part of our team!
– Erica Stapleton

Registered Dental Assistant
5/05/2005
Phil is the CEREC Jedi Guru! We at Riverside 5 are fortunate to have him on our team. He takes great pride in what he does, and is a perfectionist. We appreciate your hard work and dedication. Congratulations on your 10-year anniversary. Here’s to many more!
– Dr. Watanabe, Amy Rivera and Sandra Perez

Benefits Coordinator 5/04/2005
Our patients love Brooke! She remembers everyone and gives them all that personal feel. She brings a joy and fun to the entire office. Anaheim Hills has succeeded greatly under her leadership. We are so proud to have her as part of the team!
– Brian Taylor



Dental Assistant, Lead 6/15/2005
Olga has been instrumental to the success of Granite Bay Smiles. As we work together to strive for the PPE®, Olga’s efforts go a long way in the eyes of the patients, and melds well with the team, too. As the lead RDA, she has ensured financial success with controlling costs on supplies, back office staffing and labs. Thank you for all that you do, Olga.
– Michael Coleman
RENE LAREDO
Benefits Coordinator 4/15/2005
Rene is truly an amazing person! Her dedication, passion and work ethic are impacting and appreciated by the entire team. Thank you, Rene, for your big heart and your mentorship.
– Jamie Varzeas
Dental Assistant, Oral Surgery 5/18/2005
Marvin’s dedication, excellent clinical skills and tenacity are part of what runs the well-oiled SWR oral surgery machine that Dr. Izadi has today. Marvin is the backbone of the team that can handle a heavy load seamlessly. Thank you for your support and dedication. Congratulations, Marvin!
– Marla Boddy

Benefits Coordinator 5/18/2005
Jeanna is truly an asset to the region. She has a consistent focus on providing an outstanding patient experience. She also works daily to be a strong contributor to all the offices she supports.
– Ginger Brammer

Cash Reconciliation Specialist
6/15/2005
Deveney helped to build the Cash Department we have today. She knows her job and is a vital part of the cash reconciliation team. She enjoys a challenge much like reading a good book; she dives right in and doesn’t put it down until she’s finished. We love you, Dev!
Congratulations on 10 years!
–Tammy Spicer

Specialty Benefits Coordinator 4/11/2005
Lupe is a loyal, compassionate, hardworking and dedicated team member. She helps me on a daily basis and I appreciate all her hard work. Congrats on 10 years.
–Tina Theys




Registered Dental Assistant 5/18/2005
I have had the pleasure of working with Suzanne for the past 10 years, and we are very lucky to have her on our team. Suzanne is caring, courteous, dedicated, and a great team player. Congratulations on 10 years with PDS® I look forward to many more years with you on our team!
– Dr. Judy Hoang
Director, Strategic Business Development, Orthodontics 5/18/2005
Sheila constantly strives to serve our supported owners, their orthodontic partners, and the team at the highest level. She has a passion for people, and lives the “We Believes” on a daily basis. It’s been a privilege to have her on the Specialty Team.
–Tom Von Sydow


Program Manager, Orthodontics 4/06/2005
Starr is a valuable member of the Specialty Team. Starr, thank you for your dedication, passion and commitment to our team and PDS! Congratulations on 10 years!
– Sheila Bracker (Parkinson)
Operations Manager
6/08/2005
Marina is a terrific operator and leader. She is supportive of her team and has a high level of expectation and accountability. She has worked her way up in PDS to greater degrees of responsibility and excels in her OM role. I’m so glad we’re on the same team!
– Sue Rudow

LINDA VANSON
Dentist 4/25/2005
How fast 10 years flies by! I have had the pleasure of working with Dr. Vanson at Rancho Dental Group for 10 years now and she is an absolutely amazing dentist and team member! She cares about her patients from start to finish and really has created a community of her own in the office. Her laugh is infectious and she always can make her patients comfortable with the quality of care she provides them! Congratulations, Dr. Vanson!
– Paula Larson
LISA ZENO
Registered Dental Assistant 6/29/2005
Congratulations and Happy 10th Anniversary, Lisa! The hallmark of the Norco team’s success and reputation has been built by wonderful and dedicated employees like Lisa. Lisa’s enthusiasm and energy are absolutely contagious throughout the office. She welcomes patients, young and adult, with a beautiful and gracious smile, always soothing fear and anxiety with an amazing disposition to be compassionate and caring. Lisa not only makes a difference in the number of patient lives she touches, but throughout our team. We appreciate you and couldn’t have done it without you, LISA!
– Melanie Smith

SUSIE AREVALO
Dental Assistant, Orthodontics 6/09/2010







REBECCA BATTISTONI
Operations Manager 4/14/2010

STACEY BEGAY
Dental Assistant, Orthodontics 4/14/2010

CARRIE BURKE
Benefits Coordinator
6/02/2010

ANGELICA CARLEY
Dental Assistant, Lead 4/05/2010

DR. MICHAEL CHON
Dentist 5/05/2010
DR. MARIAN ABDALLA
Dentist 4/05/2010

ROBERT ARTEAGA
Dental Assistant, Oral Surgery 5/05/2010
MELISSA BAUER
Registered Dental Hygienist 4/30/2010

BOGHOSSIAN
Registered Dental Hygienist 6/02/2010

STORRIE BURNS
Dental Assistant, Lead 4/02/2010

SYLVIA CASTRO
Registered Dental Assistant 6/30/2010

MONIQUE COFFMAN
Dental Assistant 6/07/2010
CRISTINA ARANDA
Specialty Benefits Coordinator 5/26/2010
MALCOLM ATKINSON
Registered Dental Assistant 5/24/2010
DR. REYMOND BAUTISTA
Owner Dentist 6/21/2010
GINGER BRAMMER
Operations Manager 5/26/2010
DR. KENNETH BURSON
Multiple-Office Owner Dentist 6/25/2010
DR. DEREK CHAN
Dentist 6/21/2010

DR. GORDON COOPER
Orthodontist 5/17/2010







ALEX CREELMAN
Operations Manager II
4/28/2010

DR. BAHA DURAINI
Owner Dentist
5/17/2010


ELLIE GORJIZADEH
Registered Dental Hygienist
5/19/2010

DR. WILLIAM HARTMAN
Owner Dentist
6/21/2010

DR. AMANDA JOZSA
Owner Dentist
6/21/2010

DR. FREDERICK LEE
Owner Dentist 4/26/2010

NADEGE LINDOR
Dental Assistant, Orthodontics
6/09/2010

VERONICA DE ANDA
Specialty Benefits Coordinator 4/07/2010
DR. ALINE EKIZIAN
Owner Dentist
4/07/2010

Dental Assistant, Lead 6/30/2010

LATOSHIA HILL
Registered Dental Hygienist
4/20/2010

CHRISTY KEECH
Assistant Manager 6/22/2010

KIMBERLY LEOS
Assistant Manager 5/28/2010

HEATHER LONG
Specialty Benefits Coordinator 6/29/2010

Dental Assistant, Lead 6/08/2010
BLAIR HANOSH
Specialty Regional Manager 4/01/2010
SANDRA JACKSON
Dental Assistant, Oral Surgery 4/16/2010
KEVIN LAWTON
Regional Partner 4/30/2010
LISA LEWIS
Operations Manager II 4/07/2010
DEBBIE LOPEZ
Dental Assistant 4/05/2010


Dental Assistant, Lead 4/05/2010






CHARLIE MAIZARES
Registered Dental Assistant 4/14/2010

DR. KATIE MCCANN
Multiple-Office Owner Dentist 5/10/2010

KATE MORA
Dental Assistant, Oral Surgery 4/14/2010

DR. JENNA NICHOLSON
Dentist 6/21/2010

JACLYN ORTIZ
Registered Dental Hygienist 6/29/2010
Registered Dental Assistant 4/08/2010


Dental Assistant 6/21/2010

MURRAY
Operations Manager II 4/28/2010

Benefits Coordinator 6/02/2010

EUNICE POZO
Registered Dental Assistant, Lead 6/26/2010

Dental Assistant, Orthodontics 6/30/2010

Assistant Manager 5/19/2010
REY LORENZO
Operations Manager 6/30/2010
RYAN MATHEWS
Registered Dental Assistant 5/27/2010
MARK MILLARD
Operations Manager 5/24/2010
THO NGUYEN
Registered Dental Hygienist 4/19/2010
KELLY O’CONNOR
Registered Dental Hygienist 6/23/2010
DR. ARIELLA PESSAH
Dentist 6/25/2010

DR. YVETTE RIVERA
Dentist 4/19/2010
GRISELDA RODRIGUEZ
Dental Assistant, Orthodontics 4/28/2010







SUSAN RUIZ
Assistant Manager 4/05/2010

ALICIA SMITH
Operations Manager 6/16/2010

PARISA UDOMPASAKORN
Registered Dental Hygienist 4/07/2010

CHRISTINA VALENZUELA
Specialty Benefits Coordinator 4/20/2010

MARIA VELAZQUEZ
Benefits Coordinator 4/19/2010

DR. SCOTT YEAMAN
Owner Dentist 4/12/2010
AMANDA ROONEY
Professional Recruiter 4/05/2010

NIKKI SEGURA
Assistant Manager 5/11/2010
DR. GILBERT SELKIN
Oral Surgeon 6/01/2010
Operations Manager 5/24/2010

ASHLY ULLIVARRI
Registered Dental Assistant, Lead 5/26/2010

SUZETTE VARGAS
Dental Assistant, Pediatric 4/19/2010

DR. MEREDITH WOLF Dentist 6/21/2010
Registered Dental Assistant 5/27/2010
TERESA VALDEZ
Dental Assistant, Lead Orthodontic 4/21/2010
MARCO VASQUEZ
Junior Systems Administrator 5/24/2010
PATSY ZIMMERMAN
Dental Assistant, Orthodontics 4/28/2010
2. Periodontal disease will only become ____ without proper treatment and care.
4. PPE expanded, part 1.
6. Another name for calculus.
7. During SRPs, root surfaces are cleaned and _____.
9. Periodontal disease is also known as ____ disease.
12. In ____ periodontitis, gums begin to pull away from teeth.
13. In advanced periodontitis, teeth may become ____.
14. PPE expanded, part 2.
17. Colored ____ designates each section in the sterilization area.
20. PPE is integral to ensuring ____.
21. Full mouth debridement is also called a ____ scale.
22. Periodontal probing is also called ____ charting.
1. Teeth may be ____ after whitening.
3. Topical anesthetics are applied to gums with a ____.
5. ____uses a medicated rinse to kill bacteria, often during periodontal maintenance and SRPs.
8. A preventative cleaning (shortened).
9. Sealants flow into the pits and ____ of the teeth.
10. The most common sign of periodontal disease is ____ gums.
11. Thin, plastic coatings applied to occlusal surfaces of posterior teeth to prevent decay.
15. Occlusal tooth surfaces can trap food and ____.
16. Local anesthetics are ____ into oral tissues.
Need hints?
Check out the Dental Basics I and II courses in the MY Success Center!
23. PPE expanded, part 3.
24. The sterilization area is divided into three sections, color-coded by ____ potential.
25. In moderate periodontitis, ____ may develop.
C-DIAG400 Diagnosis & Treatment Planning for the GP
This course offers the opportunity to work in a group setting as you review and utilize key diagnostic skills together. You will clinically evaluate several patient cases and brainstorm the best approach to patients, esthetics, sensitivity, and clinical efficiencies pertaining to each case.
This workshop is available regionally and open to all supported dentists, so visit MY Success Center, locate the workshop in your region, and enroll in the next class!
18. Applied to tooth surfaces to help prevent decay or provide relief from hypersensitivity to hot and cold.
19. Areas where PPE is not permitted are called ____ ____. (2 words)