Međimurske novine prilog 1536 Liječite ili spriječite

Page 1


LIJEČITE ILI SPRIJEČITE

ZAVOD ZA HITNU MEDICINU

Kako prepoznati i spriječiti moždani udar

KLINIČKA PSIHOLOGINJA

Josipa Perhoč Mrla Usamljenost nije isto što i samoća

POLIKLINIKA BRILJANT Kada je potrebna korekcija kapaka?

SLUŽBE PALIJATIVNE

SKRBI U MEĐIMURJU

Gdje potražiti pomoć kad neizlječiva bolest uznapreduje

POLIKLINIKA ANALIZA Kako razlikovati alergiju od intolerancije na hranu

FIZIKALNA TERAPIJA I REHABILITACIJA HORVAT

Što je to robotska neurorehabilitacija?

POSEBNI PRILOG MEĐIMURSKIH NOVINA

• ekskluzivni inovativni individualno prilagođeni kreveti i madraci u veličinama prema želji

• visokokvalitetni kreveti i madraci za hotele, pansione i apartmane

• kutne garniture, pomoćni ležajevi

• vrhunski ergonomski antibakterijski jastuci

• dječji antibakterijski madraci

• medicinski antidekubitalni madraci i jastuci

• krevetni sustavi za plovila

B e r n a r d a d o o

Bernarda d.o.o. • Čakovečka 136A, Pušćine - Nedelišće

Varaždinske Toplice

ZAJAMČEN ODMOR UZ VRHUNSKI WELLNESS

- terapije termalnom vodom, balneo kupke, vanjski i unutarnji grijani bazeni s termalnom vodom, saune, fizioterapija, suvremeni interijer s visokotehnološkim uređajima za rekreaciju i zdravstvenu terapiju, beauty kutak, ekskluzivni restoran s jelima iz biodinamičkog uzgoja...

JEDINSTVENO U HRVATSKOJ:

pilates studio opremljen BASI Systems opremom

Hrvatska kvaliteta

O USAMLJENOSTI, BOLESTI DANAŠNJICE,

PIŠE Josipa Perhoč Mrla, klinička psihologinja

Budite svoji i povezujte se s drugima!

Usamljenost je postala jedna od najčešćih i najpodmuklijih pošasti suvremenog društva

Usamljenost je neugodno i emocionalno uznemirujuće iskustvo koje svaki čovjek u pojedinim životnim razdobljima osjeti u određenoj mjeri, kada nije u društvu ljudi s kojima bi želio biti, ili ako nema ljudi s kojima bi se osjetio povezano. Tijekom evolucije bili smo sigurniji u skupinama nego sami, te se kao jedan od važnih mehanizam preživljavanja razvila univerzalna potreba za drugima. Većini je ljudi potrebna povezanost s drugima kako bi se osjećali ispunjeno. U odnosu s drugima stvara se privrženost, pripadnost nekome ili nekoj skupini, dobiva potvrda vlastite vrijednosti.

Ljudi su usamljeni kada su nezadovoljene njihove potrebe u odnosima s drugima - zbog različitih gubitaka, poremećenih partnerskih odnosa, završetka partnerskih odnosa zbog smrti, razvoda, zbog poremećenih odnosa u roditeljskoj ili vlastitoj obitelji, različitih traumatskih događaja, kada se percipiraju emocionalno i socijalno neadekvatnima.

Usamljeni su ljudi svih dobi, ali ponajviše mladi i osobe starije životne dobi. U posljednjih pedesetak godina globalno se povećava osjećaj usamljenosti. Ekonomski razvoj dovodi do veće samostalnosti građana koji su skloniji individualizmu, što povećava rizik od usamljenosti. Kultura u kojoj današnji mladi odrastaju njeguje materijalne vrijednosti, motivira pojedinca da bude usmjeren na sebe. Sve je veći broj samačkih kućanstava. Razvijene tehnologije omogućile su olakšan pristup informacijama. Istovremeno, trendovi sugeriraju da ljudi u okretanju pametnim telefonima smanjuju društvene kontakte. Tehnologije se uvelike koriste kao sredstvo za vlastitu promociju. Korištenje društvenih mreža koje potpiruju stalno uspoređivanje s drugima i nesigurnost u sebe, suprotno njihovom nazivu, povezano je s povećanom tjeskobom, depresijom i usamljenošću.

Sve veći broj ljudi u starijoj životnoj dobi živi samo. Veliku većinu među njima

Ekonomski razvoj dovodi do veće samostalnosti građana koji su skloniji individualizmu, što povećava rizik od usamljenosti

Obratite nam se s povjerenjem. Usluge psihologa su besplatne i pružaju se bez liječničke uputnice. Dom zdravlja Čakovec, I. G. Kovačića 1 e, Djelatnost za psihologiju

Ambulanta u Čakovcu

T: +385 40 372 390

E: psihologija@dzck.hr

Naručivanje: od ponedjeljka do petka između 13 i 15 sati

Ambulanta u Prelogu

T: +385 40 321 390

E: psihologija.prelog@dzck.hr.

Naručivanje: od ponedjeljka do petka između 13:30 i 14:30 sati

čine žene, s obzirom na to da je njihov životni vijek u prosjeku dulji od životnog vijeka muškaraca. Posljednjih desetljeća raste i broj neoženjenih i neudanih, rastavljenih muškaraca i žena, koji ostaju živjeti sami i u starosti, polovica jer to žele, potrebna im je neovisnost, razočarani su u ljubavi, ili im je prioritet posao, a preostali zbog previsokih standarda prema partneru ili jer ne uspijevaju upoznati nekoga. Osobe u partnerskom odnosu, u braku i izvanbračnoj zajednici, u prosjeku su manje usamljene i zdravije od samaca, razvedenih i udovaca. Ipak, nije svaki partnerski odnos korisniji za zdravlje od samoće. Osobe koje su u partnerskom odnosu neprekidno izložene krizama, u kroničnom su stresu što sa sobom nosi zdravstvene rizike. Presudna je kvaliteta partnerskog odnosa, koja ovisi o uspostavljenoj razini prisnosti, seksualne intimnosti, prisutnosti kontinuiranog partnerovog suosjećanja, brižnosti, razumijevanja i poštovanja, o kvaliteti komunikacije i načinu rješavanja kon�likta, zadovoljstvu odnosom. Usamljenost se može pojaviti i kad osoba ima kvalitetan odnos sa svojim partnerom, ali joj nedostaju prijatelji ili osjećaj pripadnosti nekoj zajednici.

Usamljenost nije isto što i samoća

Usamljenost je subjektivni doživljaj, i čovjek se može osjećati usamljeno i okružen ljudima. Jednako tako, čovjek može ciljano biti sam i pritom se ugodno osjećati. Dapače, imati pozitivnu sliku o samome sebi i

pouzdanje u svoju sposobnost za upravljanje svojim životom, važan je preduvjet za dobrobit.

Posljedice usamljenosti

Istraživanja u različitim stručnim područjima tijekom posljednjih desetljeća iznjedrila su brojne spoznaje o usamljenosti i pokazala da je trebamo shvatiti kao značajan javnozdravstveni problem. Usamljenost izaziva stres, koji pak slabi imunološki sustav, i povećava vjerojatnost pojave različitih infektivnih bolesti, povišenog krvnog tlaka, bolesti krvožilnog sustava, karcinoma, depresije, bolesti ovisnosti i drugih psihičkih bolesti. Ako se čovjek dugotrajno osjeća usamljeno, pod kroničnim je stresom, što pospješuje razvoj kroničnih bolesti i povećava rizik od smrti! Što učiniti?

"Klinička psihologinja Josipa Perhoč Mrla, mag. psych., univ. spec. clin. psych.

Korištenje društvenih mreža potpiruje stalno uspoređivanje s drugima i nesigurnost u sebe, pa je povezano s povećanom tjeskobom, depresijom i usamljenošću

Rizici usamljenosti i društvene izolacije mogu se izbjeći. Aktivno sudjelovanje u zajedništvu s drugima pokazalo se jednim od najvažnijih čimbenika za zdravlje. Povezanost s drugima povećava vjerojatnost preživljavanja oboljelih od različitih bolesti. Za izgradnju dobre budućnosti potrebna je suradnja između pojedinaca i između država.

Važno je prepoznati osjećaj usamljenosti, koja ima važnu funkciju, motivira na povezivanje s drugima. U neposrednom, realnom (a ne virtualnom) kontaktu i ophođenju sa zdravim društvom, počevši od malih, svakodnevnih društvenih interakcija, pa i s nepoznatim ljudima, čovjek

doživljava zajedništvo, pripadnost i stječe povjerenje. Važna su prijateljska okupljanja, potpora bližnjih, sudjelovanje u različitim aktivnostima. U kulturama diljem svijeta oduvijek su prisutne aktivnosti poput zajedničkog pjevanja, sviranja ili plesanja, te dokazano smanjuju stres i usamljenost. Čovjekova iskonska povezanost s prirodom ogleda se i u činjenici da boravak u prirodi umanjuje usamljenost kod ljudi, što se posebno važno pokazalo u gusto naseljenim gradovima i važna je smjernica u osmišljavanju urbanog krajolika. Pokazuje se da su sretniji i povezaniji s drugima ljudi koji su velikodušni i koji dobrovoljno pomažu drugima. Brojna istraživanja ukazuju na povezanost zadovoljenih duhovnih potreba i smanjene usamljenosti.

Pojedincu koji se doživljava usamljeno i ranjivo može biti potrebna i obuhvatnija, ponekad i stručna psihološka pomoć. Psihologijske intervencije često su usmjerene na promjenu narušene slike o sebi. Osobe koje se smatraju manje vrijednima od drugih, ''čudnima'', nevrijednima tuđe pažnje, često su usamljene. Njihova negativna uvjerenja o sebi formirana tijekom djetinjstva, uslijed primanja roditeljskih poruka, u interakciji s vršnjacima i drugim društvenim agensima, vrlo često smanjuju motivaciju, ili pak u potpunosti odvraćaju od povezivanja s drugima. Kao zaključak ističem da čovjek nije osuđen na usamljenost. Pomaganjem i usmjerenošću na druge, uz samostalno upravljanje svojim životom, može stvoriti autonoman životni stil ujedno okrenut zajednici. Razvoj socijalnih vještina i izgradnje kvalitetnih odnosa s drugima, pomaganje drugima, može početi od malih koraka, a u slučaju veće potrebe za psihološkom podrškom, slobodno se obratite stručnjacima mentalnog zdravlja.

Piše: Josipa Perhoč Mrla, mag. psych., univ. spec. clin. psych.

SAVJETI IZ POLIKLINIKE BRILJANT U ČAKOVCU

Vrhunska briga za vid i zdravlje vaših očiju

Poliklinika Briljant u Čakovcu sinonim je za vrhunsku oftalmološku skrb, a njihov stručni tim stoji na raspolaganju kako biste sačuvali dobar vid te odmoran i svjež izgled očiju

Piše: Snježana Zorković, Foto: Mario Golenko

Optika Briljant u Čakovcu već više od 30 godina brine o zdravlju vaših očiju, pružajući vrhunsku uslugu i njegu. Smještena na adresi Ruđera Boškovića 1, Optika Briljant obuhvaća i Polikliniku Briljant, gdje specijalisti oftalmologije pružaju stručne preglede i savjete.U posljednje vrijeme sve se više piše o zahvatima poput korekcije očnih kapaka, poznate kao blefaroplastika – zahvata kojim se uklanja višak kože i masnog tkiva s gornjih i donjih kapaka. Iako se takvi kirurški zahvati ne izvode u Poliklinici Briljant, njihovi oftalmolozi često procjenjuju kada bi oni mogli biti

Neno Mekovec, ravnatelj Poliklinike Briljant, gdje specijalis� o�almologije pružaju stručne preglede i savjete

Ma�ja Blažeka, dr. med., spec. o�almologije i optometrije, sveučilišni specijalist o�almologije, FEBO

potrebni te savjetuju pacijente o svim važnim aspektima ovog postupka.

O tome smo razgovarali s dr. Matijom Blažekom, dr. med., spec. oftalmologije i optometrije, sveučilišnim specijalistom oftalmologije, FEBO, koji nam je objasnio kada se blefaroplastika preporučuje, kome može pomoći i što sve treba znati prije donošenja odluke o zahvatu. Spušteni kapci mogu zaklanjati vidno polje i ometati vid, a pravilna dijagnostika ključna je za odluku o daljnjim koracima.

"Blefaroplastika se izvodi u lokalnoj anesteziji i traje otprilike jedan do dva sata i nije bolna

Kada je potrebna korekcija kapaka?

S godinama, koža gubi elastičnost, što može dovesti do spuštanja kapaka i stvaranja viška kože. To ne samo da daje umoran i stariji izgled, već i bitno smanjuje vidno polje. Ta se promjena ponajviše primjećuje kod čitanja ili vožnje, jer imate osjećaj da ne vidite gornji dio vidnog polja, pa se tada preporuča potražiti pomoć.

Zašto se izvodi blefaroplastika?

Primarni cilj blefaroplastike je uklanjanje viška kože i masnog tkiva s kapaka kako bi se postigao svježiji i mlađi izgled. Osim estetskih prednosti, zahvat primar-

Kako

prepoznati spuštene kapke?

Spušteni kapci, poznati i kao „hooded eyes", karakteriziraju se viškom kože na gornjem kapku koja djelomično prekriva pregib oka. Ova anatomska značajka može biti prirođena ili se razviti s godinama zbog gubitka elastičnosti kože. Osobe sa spuštenim kapcima mogu primijetiti manji vidljivi dio pokretnog kapka i osjećaj težine u području očiju. U nekim slučajevima, spušteni kapci mogu ograničiti vidno polje, osobito u perifernom pogledu. Ako je smanjenje vidnog polja značajno, može se razmotriti medicinska procjena. Uz prirodne varijacije među pojedincima, faktori

no poboljšava vid kod pacijenata kod kojih spušteni kapci ometaju vidno polje. Kod starije populacije događa se dermatohalaza, degenerativno stanje spuštanja gornje vjeđe. Uklanjanjem „vrećica” ispod očiju, lice dobiva odmorniji izgled. Ako je osoba mlađa i stanje je blago izraženo, preporuča se pričekati jer se nakon 5 do 7 godina stanje može ponovo pojaviti, dodaje dr. Blažeka.

Kako izgleda postupak?

Blefaroplastika se izvodi u lokalnoj anesteziji i traje otprilike jedan do dva sata, ovisno o složenosti zahvata i nije bolna, te se radi na oba oka paralelno. Rez se obično smješta u prirodni nabor kapka kako bi ožiljak bio minimalno vidljiv. Nakon zahvata pacijenti mogu

U Poliklinici Briljant kompletan pregled uključen je u cijenu od 40 eura. To je posebno važno prilikom pregleda djece, dijabetičara ili ljudi kod kojih je povišen šećer ili pak imaju promjene na mrežnici oka kojima se mora kapati u oko prije pregleda i to se u Briljantu ne naplaćuje posebno.

Primjer kako izgledaju spušteni kapci za koje se preporuča potraži� stručnu pomoć

poput genetike, starenja i načina života mogu utjecati na izraženost spuštenih kapaka. Redovita njega kože i zdrave životne navike mogu pomoći u održavanju elastičnosti kože, dok se u težim slučajevima može razmotriti medicinska intervencija poput blefaroplastike.

"Spušteni kapci mogu zaklanjati vidno polje i ometati vid

osjetiti blagu oteklinu vjeđa i modrice, ali oporavak je brz tjedan do dva, dok su konačni rezultati vidljivi nakon nekoliko tjedana. Nakon operacije kroz 7 do 10 dana potrebno je izvaditi šavove.

Kako se razlikuje medicinska od estetske blefaroplastike?

Medicinska blefaroplastika izvodi se kada spušteni kapci ometaju vid ili uzrokuju nelagodu, primjerice otežano otvaranje očiju ili naprezanje mišića čela. Ona osigurava poboljšanje funkcionalnosti oka i pokrivena je zdravstvenim osiguranjem. Estetska blefaroplastika fokusira se na pomlađivanje izgleda uklanjanjem viška kože i masnih jastučića, smanjujući umoran izgled. Ovaj zahvat se izvodi isključivo iz kozmetičkih razloga i nije medicinski nužan, ni pokriven zdravstvenim.

ZZJZ Međimurske županije savjetuje

E-cigarete i snus sve rašireniji i opasniji za mlade

E-cigarete i snus raširili su se među mladima, a pošto nema zakonske regulative, sve su dostupniji i stvaraju ovisnosti među mladim generacijama. Saznajte koje su opasnosti i spriječite širenje ove vrste ovisnosti

Unatrag nekoliko godina i u našoj se županiji među djecom i mladima uočava sve češće korištenje nikotinskih vrećica (u žargonu zvanih snus), kao i korištenje elektroničkih cigareta ili tzv. vape uređaja. Radi se o sredstvima koja su primarno proizvedena kako bi se pušačima pomoglo u prestanku pušenja.

Nikotin je štetan –odluči se za zdravlje

Naime, dobro je poznata činjenica da je pušenje jedan od glavnih izbježivih čimbenika rizika za zdravlje. U svijetu je još uvijek velik broj pušača, posebno u nerazvijenim zemljama te se procjenjuje da svake godine od posljedica pušenja u svijetu umire preko 8 milijuna ljudi. Rizična je i izloženost pasivnom pušenju zbog kojeg godišnje umire preko 1,2 milijuna ljudi. Dokazano je da pušenje značajno ugrožava zdravlje pušača, kao i zdravlje osoba izloženih pasivnom pušenju, posebno djece. Štetno utječe na sve organe u našem tijelu, značajno skraćuje životni vijek i smanjuje kvalitetu života. U odrasloj dobi većina pušača postane svjesna štetnosti pušenja i barem jednom, a mnogi i više puta pokušavaju prestati s tom navikom.

Vape i snus nisu za djecu, već za one koji žele prestati pušiti

S obzirom na to da je pušenje bolest ovisnosti, nakon prestanka pušenja javljaju se apstinencijske smetnje koje mogu biti veoma neugodne i mnoge pušače znaju odvratiti od namjere prestanka pušenja. Unatoč spoznaji da ni njihovo korištenje nije potpuno bezopasno po zdravlje,

Snus i vape danas predstavljaju veliku opasnost za mlade

Jedna nikotinska vrećica može sadržavati 20 mg nikotina što odgovara količini nikotina koju sadrži cijela kutija od 20 cigareta

Opasnosti e-cigareta za djecu

• U e-cigaretama se mogu isporučivati i ilegalne droge, najčešće je to marihuana.

• Osobe koje u mladosti koriste e-cigarete imaju veće šanse postati pušači cigareta.

Stoga djeci i mladima poručujemo:

• Nikotin je štetan – odaberi zdravlje. Ostani ili postani nepušač!

• Uživaj u prirodi i čistom zraku – vježbaj, druži se, maštaj, rasti, voli…

Opasnosti nikotina za djecu

Razvoj ovisnosti o nikotinu brži je ako mu je osoba izložena u ranijoj životnoj dobi. Nikotin oštećuje mozak u razvoju, posebno dijelove koji su odgovorni za učenje, pamćenje, koncentraciju i pažnju te kontrolu raspoloženja i emocija.

e-cigarete, grijani duhanski proizvodi i nikotinske vrećice proizvedeni su kako bi pušačima pomogli prestati pušiti, ali se nažalost, njihova zlouporaba proširila među djecom i mladima. Što su to e-cigarete odnosno vape?

Elektronička ili e-cigareta je uređaj koji grijanjem tekućine u spremniku proizvodi aerosol koji prodire duboko u pluća. Taj aerosol uz nikotin najčešće sadrži i glikole, aldehide, hlapljive organske spojeve, policikličke aromatske ugljikovodike, speci�ične duhanske nitrozamine, glioksal, metilglioksal, diacetil, acetol, metale, silikatne čestice i druge elemente. Da vam netko ponudi da udahnete ove kemijske spojeve, što biste mu odgovorili?

Štetne posljedice posebno su moguće kod djece i adolescenata te kod trudnica.

Posljedice korištenja e-cigareta

EVALI (e-cigarette and vaping associated lung injury) – upala u dišnom sustavu zbog taloženja zagrijanih aerosoliranih ulja u plućnim mjehurićima. Ovo se stanje prvi puta spominje 2019. godine, a može uključivati lipoidnu

Uvodić - Đurić, dr. med., specijalist školske medicine, subspecijalist alkoholizma i drugih ovisnosti-adiktolog

pogotovo kod uzimanja više nikotinskih vrećica, a brži je i nastanak ovisnosti o nikotinu. Visoka koncentracija nikotina i brza resorpcija mogu uzrokovati povišenje tlaka, ubrzan rad srca, ubrzano disanje te simptome trovanja (mučnina, povraćanje, slabost, glavobolja, pojačano slinjenje, proljev, konvulzije, prestanak disanja). Zabilježeno je i javljanje bolnosti u desnima, iritacija desni, štucanje i pojava naglog euforičnog ponašanja.

Zašto ih djeca i mladi uzimaju?

pneumoniju, pneumonitis uzrokovan preosjetljivošću, difuzno alveolarno krvarenje, akutnu eozino�ilnu upalu pluća te lipoidnu upalu pluća (akutnu ili kroničnu).

Simptomi koji se mogu javljati su otežano disanje, dugotrajni kašalj, bol u prsima, temperatura, krv u iskašljaju. Nisu bez nuspojava ni grijani elektronički duhanski proizvodi koji sadrže duhan kojeg ne sagorijevaju nego zagrijavaju. Time se stvara aerosol koji sadrži nikotin i druge štetne sastojke poput aditiva i različitih aroma.

E-cigarete nisu manje štetne od običnih

Stvarni sastav često ne odgovara onom koji je naveden u deklaraciji proizvoda. Nema znanstvenih dokaza da su manje štetni od e-cigareta. Važno je razumjeti da korištenjem ovih proizvoda osoba ne udiše običnu mirisnu vodenu paru, nego brojne kemikalije koje nemaju blagotvoran učinak na naše organe.

Nikotinske vrećice snus

Nikotinske vrećice koje u žargonu nazivaju „snus“ su proizvodi koji ne sadrže duhan, nego dehidrirani nikotin u obliku bijelog praha s dodanim aromama, biljnim vlaknima i zaslađivačima, koji se putem sluznice u ustima brzo resorbira i dolazi u krv. Postavljaju se između usana i desni te se u potpunosti resorbiraju i ne zahtijevaju pljuvanje. Radi se o proizvodima s visokom koncentracijom nikotina. Jedna nikotinska vrećica može sadržavati 20 mg nikotina što odgovara količini nikotina koju sadrži cijela kutija od 20 cigareta. Radi se o sintetskom nikotinu koji se brže i lakše veže za nikotinske receptore te zbog toga može imati brže i intenzivnije djelovanje.

Koji su simptomi trovanja nikotinskim vrećicama?

Stoga su, naročito kod djece i adolescenata. mogući simptomi trovanja nikotinom,

Djeci je privlačno to što ih mogu „diskretno“ uzimati. Naime, nema dima, nema mirisa po cigaretama te roditelji i učitelji neće odmah posumnjati da dijete uzima preparat koji sadrži nikotin. Nerijetko ih uzmu i tijekom nastavnog sata, na očigled učitelja i drugih učenika. Žele postići dobro raspoloženje, bolju koncentraciju i razbuđivanje, smanjenje nemira i napetosti. Međutim, zbog razvoja ovisnosti o nikotinu, ubrzo se u periodu između uzimanja dviju nikotinskih vrećica počinju javljati apstinencijski simptomi: loše raspoloženje, razdražljivost, uznemirenost, glavobolja, nesanica, drhtanje ruku, znojenje, bolovi u trbuhu, probavne smetnje i brojni drugi. Ne podliježu zakonima?

Nikotinske vrećice su relativno novi proizvod te se još uvijek radi na promjenama zakonske regulative o njihovom korištenju i prodaji, jer s obzirom na to da se ne radi o duhanu, one ne podliježu Zakonu o duhanu i srodnim proizvodima koji ograničava prodaju duhanskih proizvoda maloljetnicima. Međutim, zbog svih prije navedenih mogućih štetnih djelovanja, u mnogim se zemljama (Norveška, Australija, Njemačka, Kanada, itd.) nikotinske vrećice nisu smjele legalno prodavati čak ni odraslim osobama.

Učenici su svjesni opasnosti

Zbog sve izraženije pojave korištenja ovih proizvoda među školskom djecom i mladima u Međimurskoj županiji, na inicijativu Povjerenstva za suzbijanje zlouporabe droga Međimurske županije, Zavoda za javno zdravstvo Međimurske županije i Školskih preventivnih programa tijekom Mjeseca borbe protiv ovisnosti prošle godine je izrađen letak koji je podijeljen svim učenicima 7. i 8. razreda osnovnih škola te učenicima 1. i 2. razreda srednjih škola, kako bi se mlade upozorilo na činjenicu da su e-cigarete (vaping), grijani duhanski proizvodi i nikotinske vrećice posebno štetni za zdravlje djece i mladih. Naglašeno je da ne postoje bezopasni nikotinski proizvodi.

Tekst pripremila: Diana Uvodić-Đurić, dr. med., specijalist školske medicine, subspecijalist alkoholizma i drugih ovisnosti-adiktolog, Djelatnost za zaštitu mentalnog zdravlja, prevenciju i izvanbolničko liječenje ovisnosti, Zavod za javno zdravstvo Međimurske županije

Diana

ZAVOD ZA HITNU MEDICINU MEĐIMURSKE ŽUPANIJE SAVJETUJE

Moždani udar jedan je od najčešćih uzroka smrti i invaliditeta u svijetu, a njegova iznenadna pojava često mijenja živote oboljelih i njihovih obitelji. Nastaje kada poremećaj cirkulacije u mozgu dovodi do nedostatka kisika i hranjivih tvari, uzrokujući oštećenje moždanih stanica. Zbog toga dolazi do ozbiljnih neuroloških posljedica koje utječu na govor, kretanje, vid i druge vitalne funkcije. Iako je moždani udar hitno medicinsko stanje koje zahtijeva brzu reakciju, važno je naglasiti da se mnogi slučajevi mogu spriječiti zdravim načinom života i kontrolom čimbenika rizika poput povišenog krvnog tlaka, šećerne bolesti, pušenja i nepravilne prehrane. Pravovremeno prepoznavanje simptoma ključno je za uspješno liječenje – svaka minuta bez intervencije povećava rizik trajnih posljedica. Kroz edukaciju i javnozdravstvene akcije moguće je podići svijest o prevenciji, prepoznavanju i hitnom zbrinjavanju moždanog udara, smanjujući time njegov razoran učinak na pojedince i društvo. Moždani udar jedno je od najhitnijih medicinskih stanja koje zahtijeva brzo prepoznavanje simptoma i pravovremenu reakciju. Stručnjaci ističu da edukacija i svijest o čimbenicima rizika mogu značajno smanjiti učestalost i posljedice ove bolesti.

U skladu s time, smjernice i stručne preporuke za ovaj članak dali su Ivana Sklepić Klobučarić, mag. med. techn., Antonio Gužvinec, bacc. med. techn. i Dominik Hamzić, bacc. med. techn. iz Zavoda za hitnu medicinu Međimurske županije, koji se svakodnevno susreću s hitnim zbrinjavanjem pacijenata s moždanim udarom te ističu važnost brze reakcije i preventivnih mjera.

Moždani udar je naglo nastali neurološki poremećaj uzrokovan poremećajem cirkulacije u mozgu koja dovodi do nedovoljne opskrbe određenih dijelova mozga kisikom i hranjivim tvarima. Zbog

Smirenim postupanjem do dolaska hitne medicinske pomoći pomažete unesrećenoj osobi spasiti život

Ivana Novak, bacc. med. techn. i Stella Kocijan, univ. mag. med. techn. spremne su za svaku intervenciju

Svaka minuta bez intervencije povećava rizik trajnih posljedica

Da bi spriječili moždani

odgovorni prema svojem

čekajte sutra da biste loše navike, već počnite

Kako prepoznati i spriječiti moždani udar?

nedostatka kisika i hranjivih tvari dolazi do oštećenja i odumiranja živčanih stanica u zahvaćenom dijelu mozga što se odražava oštećenjem funkcija kojima ti dijelovi mozga upravljaju. Može biti ishemijski (uzrokovan ugruškom koji začepi arteriju i onemogući protok krvi kroz nju) ili hemoragijski (uzrokovan puknućem krvne žile i prodiranjem krvi u okolno tkivo).

Ateroskleroza je bolest koja dovodi do stvaranja naslaga masnoća, vezivnog tkiva, ugrušaka, kalcija i drugih tvari u stijenci krvne žile što uzrokuje sužavanje, začepljenje i/ili slabljenje stijenke krvne žile. Ateroskleroza je najčešći uzrok oštećenja krvnih žila u mozgu koja dovode do moždanog udara.

Najvažnije je prepoznati znakove moždanog udara

Moždani udar predstavlja hitno i životno ugrožavajuće stanje koje svaki

stanovnik i svaki ukućanin mora znati prepoznati. Prepoznavanjem znakova moždanog udara slijedi akcija i adekvatna reakcija, a to je zvanje hitne medicinske pomoći. Tromboliza i trombektomija su suvremeni i zlatni standardi liječenja moždanog udara ako se simptomi i znakovi prepoznaju na vrijeme. Zato je od izuzetne važnosti djelovati putem javnozdravstvenih akcija. Čimbenici rizika su dob, spol i genetsko nasljeđe na koje nije moguće utjecati. Sa starenjem raste učestalost obolijevanja od moždanog udara. U zadnje vrijeme snižava se dob bolesnika koji zadobiju moždani udar: čak 46 posto moždanih udara nastaje u najproduktivnijoj životnoj dobi, tj. između 45. i 59. godine života. Najpoznatiji čimbenici rizika za moždani udar na koje se može utjecati uključuju pušenje, prekomjerno konzumiranje alkohola, nezdravu prehranu, stres, tjelesnu neaktivnost i debljinu. Također, bolesti

poput povišenog krvnog tlaka, srčanih bolesti, šećerne bolesti, povišenih masnoća u krvi i suženja karotidnih arterija predstavljaju rizike na koje se može utjecati.

Zdrava prehrana smanjuje rizik

Smanjenje rizika od moždanog udara zahtijeva prelazak na zdravu prehranu, bogatu nezasićenim mastima (posebno maslinovim uljem), voćem, povrćem, biljnim vlaknima i plavom ribom, uz primjenu mediteranske dijete. Prestankom pušenja rizik se može smanjiti, a nakon 5 godina bez pušenja, rizik se izjednačava s rizikom nepušača. Prekomjerna tjelesna težina i fizička neaktivnost također povećavaju rizik, a zdrav način prehrane i povećana tjelesna aktivnost učinkovito smanjuju prekomjernu tjelesnu težinu i rizik od moždanog udara. Incidencija

moždani udar, budite svojem zdravlju. Ne biste počeli mijenjati počnite odmah!

prepoznati udar?

moždanog udara za zemlje s izlazom na Sredozemlje te mediteranskim načinom prehrane puno je manja za razliku od istočnijih i kontinentalnijih dijelova Europe. Tako primjerice Francuska (144/100000) ima puno manju incidenciju moždanog udara za razliku od Njemačke (350/100000). U većini zemalja pa tako i u RH moždani udar predstavlja drugi uzrok smrtnosti kao i jedan od najčešćih stopa invaliditeta.

Prevencija

moždanog udara

Moždani udar kod ljudi predstavlja jednu od glavnih zabrinutosti za javno zdravlje zbog svoje snažne povezanosti s višestrukim medicinskim komplikacijama, lošijih funkcionalnih ishoda i značajnih troškova zdravstvene zaštite.

Najčešći simptomi moždanog udara su:

• utrnulost, slabost ili oduzetost lica, ruke ili noge pogotovo ako je zahvaćena jedna strana tijela,

• poremećaji govora: otežano i nerazumljivo izgovaranje riječi, potpuna nemogućnost izgovaranja riječi i/ili otežano, odnosno potpuno nerazumijevanje govora druge osobe,

• naglo zamagljenje ili gubitak vida osobito na jednom oku ili u polovini vidnog polja,

• naglo nastala jaka glavobolja praćena povraćanjem bez jasnog uzroka,

• gubitak ravnoteže i/ili koordinacije povezani s drugim simptomima,

• omaglice ili vrtoglavice, nesigurnost i zanošenje u hodu, iznenadni padovi povezani s drugim simptomima.

Stoga, znajući čimbenike rizika, važno je zdravstvenu zaštitu ljudi preusmjeriti na prevenciju moždanog udara i ponajprije prevenciju i praćenje postojećih komorbiditeta. S napretkom medicine napredovalo je i liječenje moždanog udara te postoji trenutno nekoliko metoda liječenja moždanog udara koje su dokazane učinkovitosti. I dalje je ostalo geslo od metoda liječenja da je vrijeme mozak.

Svjetski dan moždanog udara obilježava se svake godine 29. listopada, a inicijativa za njegovo obilježavanje započela je 2006. godine. Ovaj dan ima za cilj podizanje globalne svijesti o moždanom udaru, koji je jedan od vodećih uzroka smrti i invaliditeta u svijetu.

Dan crvenih haljina obilježava se svakog prvog petka u veljači i predstavlja javnozdravstvenu akciju pokrenutu s ci-

ljem podizanja svijesti o speci�ičnostima moždanog udara kod žena. Ova inicijativa naglašava važnost prepoznavanja simptoma i razumijevanja rizika koji se odnose na žene, koje imaju speci�ične izazove u odnosu na muškarce kada je riječ o ovoj bolesti. Cilj obje akcije i obilježavanja jest skretanje pozornosti na pogubne posljedice zanemarivanja simptoma moždanog udara i isticanje nužnosti promjene životnih navika. Prevencija, pravovremeno prepoznavanje simptoma i odgovarajući medicinski tretman mogu značajno smanjiti rizik od ozbiljnih posljedica.

U Zavodu za hitnu medicinu Međimurske županije u suradnji sa Županijskom bolnicom Čakovec pacijente se zbrinjava po dogovorenom algoritmu te je u 2024. godini Zavod za hitnu medicinu Međimurske županije ukupno

Čak 46 posto moždanih udara nastaje u dobi između 45. i 59. godine života

zbrinuo 192 pacijenta sa sumnjom ili s dokazanim moždanim udarom. U slučaju prepoznavanja simptoma moždanog udara ostanite smireni, nazovite 194 i slušajte upute dispečera i odgovarajte na postavljena pitanja. Smirenim i pravilnim postupanjem do dolaska hitne medicinske pomoći pomažete unesrećenoj osobi spasiti život.

Kako se nositi s moždanim udarom ako smo ga doživjeli?

Moždani udar zahtijeva brzo prepoznavanje simptoma i pravovremenu reakciju, kažu Ivana Sklepić Klobučarić, mag. med. techn. i Antonio Gužvinec, bacc. med. techn.

U procesu liječenja je važno da sam čovjek kojega je zadesio moždani udar, kojim mu može biti pogođeno sjećanje, memorija i �ina motorika, ne izgubi nadu. Oboljelima je važna svjesnost da su uključeni u obitelj i zajednicu. Možda više ne može cijepati drva, ali može pričati priče. Ne treba očekivati čuda i misliti da će se oporaviti za dva tjedna. Oporavak traje i do godinu dana pa čak i duže. Treba prihvatiti da nam se život promijenio.

Vozila hitne medicinske pomoći dobro su opremljena

Kako izdržati bolest

voljene osobe?

Kome se obratiti kada netko nama drag boluje od neizlječive bolesti koja je uznapredovala?

Iako se palijativni bolesnici s poteškoćama koje se ne mogu riješiti u kućnim uvjetima primaju na bolničko liječenje u Županijsku bolnicu Čakovec, u Međimurskoj županiji ne postoji odjel palijativne skrbi koji je zbog svog speci�ičnog prostora i pristupa skrbi i palijativnim bolesnicima neophodan u svakoj županiji u Hrvatskoj. Stoga su nastojanja profesionalaca, ali i građana i institucija u Međimurju, usmjerena tom cilju u skoroj budućnosti.

Palijativna skrb je skrb za osobe koje boluju od neizlječivih i uznapredovalih bolesti te podrška njihovim obiteljima u skrbi za bolesnika i u žalovanju. To nije skrb za sve starije i bolesne, već je upravo posvećena osobama, bez obzira na dob, za čiju se bolest zna da se ne može izliječiti i da će tijek bolesti ići prema pogoršanju. Često je to kada ljudi čuju rečenice poput: „Medicina je učinila sve što je mogla“, „Ništa se više ne može učiniti“ i slično. Palijativna skrb uključuje ublažavanje boli i drugih teških simptoma koji čovjeku pri kraju života mogu stvoriti veliku �izičku patnju. Ali također, stručnjaci za palijativnu skrb pomažu bolesnicima i njihovim obiteljima prihvatiti realno zdravstveno stanje te se nositi s brojnim osjećajima koje teška bolest, gubitak i žalovanje donose. Palijativna skrb pomaže planirati skrb i život te se uključuje u socijalne i duhovne aspekte podrške. Kako neizlječive bolesti najčešće imaju duži tijek, pomoć bolesnicima i obiteljima pružaju profesionalci iz već postojećih službi zdravstvene i socijalne skrbi: liječnici i medicinske sestre iz ambulanti obiteljske medicine, patronažne sestre, zdravstvena njega u kući, hitne medicinske službe, bolnice te službe socijalne i duhovne skrbi. Međutim, zbog speci�ičnih potreba i poteškoća bolesti koje sve više napreduju, razvijene su službe specijalističke palijativne skrbi čiji cilj nije izlječenje bolesti, već ublažavanje patnje, očuvanje radosti života koji za sve ljude neminovno i počinje i jednom završava. Cilj im je pružiti podršku bolesnicima i njihovim obiteljima da taj život zajednički

Liječnica u mobilnom palijativnom timu

dr. Dženana Musić Mulaomerović

Udruga pruža razne vrste pomoći: od psihološke, pa do posuđivanja medicinskih pomagala Udruga posuđuje medicinske aparate jer njima rukuju zdravstveni radnici i surađuje s bolničkim liječnicima koji određuju njihovo posuđivanje

i prožive u dobrim i teškim trenucima. Takve službe postoje i sve se više razvijaju i u Međimurskoj županiji te Međimurci koji su u potrebi na nekoliko načina mogu potražiti pomoć.

Kome se obratiti, gdje potražiti pomoć?

Ako netko od vama bliskih osoba boluje od bolesti koja se ne može izliječiti i čije se stanje pogoršava, postoji nekoliko načina kako se može primiti informacija o službama palijativne skrb:

• Obratiti se svom liječniku ili medicinskoj sestri u ambulanti obiteljske medicine

• Obratiti se patronažnoj sestri ili sestri iz zdravstvene njege u kući na vašem području

Koordinatorice za palijativnu skrb u Međimurskoj

županiji Adriana Bešlić i Renata Bermanec

Građani imaju veliku ulogu u razvoju palijativne skrbi u Međimurju jer što su građani više informirani, postaju ne samo više osjetljivi na ljudi oko sebe koji su u potrebi, već su i u mogućnosti više pomoći jer znaju gdje i kakvi oblici pomoći postoje. A Međimurje tako postaje dobra lokalna zajednica. Jer je dobra lokalna zajednica ona koja brine za najosjetljivije skupine građana, koju palijativni bolesnici svakako predstavljaju.

VAŽNI BROJEVI:

Dom zdravlja Čakovec

Koordinator za palijativnu skrb:

Renata Bermanec, 099 473 5260

Mobilni palijativni tim: 099 269 3053

Udruga „Pomoć neizlječivima”Posudionica pomagala

Renata Bermanec, 095 915 9410

Spomenka Tomašić, 099 434 1567

ŽUPANIJSKA BOLNICA ČAKOVEC

Sestra za prijem i otpust: Nina Plaftak, 099 542 9250

• Ako osoba boravi u bolnici, obratiti se liječniku ili glavnoj medicinskoj sestri na odjelu

• Kod čestih posjeta hitne medicinske pomoći ili posjeta hitnom bolničkom prijemu i dnevnoj bolnici, obratiti se liječnicima i medicinskim sestrama tim službi

• Obratiti se direktno službama palijativne skrbi

Službe palijativne skrbi koje postoje u Međimurskoj županiji su:

- Dvije koordinatorice palijativne skrbi (Dom zdravlja Čakovec) čija je uloga suradnja i povezivanje svih sudionika koji na bilo koji način mogu doprinijeti razvoju i pružanju palijativne skrbi; regionalna i lokalna samouprava, sustav zdravstvene, socijalne i duhovne skrbi, mediji, udruge i volonteri, posudionice, obrazovni sustav i dr. Time se doprinosi da svi profesionalci surađuju, a da skrb bude kontinuirana i cjelovita te dostupna ljudima u potrebi.

- Dva mobilna palijativna tima (Dom zdravlja Čakovec) uključuju medicinske sestre i liječnike koju posjećuju bolesnike u njihovom domu ili domu za starije i nemoćne te im pružaju potrebnu skrb u suradnji s drugim službama koje već na određenom području pružaju zdravstvenu, socijalnu i duhovnu skrb stanovnicima.

- Bolnički tim za palijativnu skrb (Županijska bolnica Čakovec) sudjeluje u

Maček iz Strahoninca, volonterka u Udruzi Pomoć neizlječivima, rekla nam je da su u posudionici najtraženiji bolnički kreveti, toaletna kolica, hodalice, invalidska kolica, koncentratori kisika i aspiratori

prepoznavanju bolesnika s potrebom za palijativnom skrbi na različitim bolničkim odjelima, zbrinjavanju palijativnih bolesnika tijekom boravka u bolnici i pri otpustu iz bolnice.

- Udruga „Pomoć neizlječivima“ pomaže razvoju i podiže kvalitetu palijativne skrbi u Međimurju besplatnim posuđivanjem ortopedskih pomagala palijativnim bolesnicima kroz posudionicu koja broji više od 1000 pomagala i medicinskih aparata, informiranjem građana o palijativnoj skrbi, prepoznavanje bolesnika koji trebaju skrb te edukacijom profesionalaca, volontera i građana kao i pružanjem psihološke podrške od strane psihologa. Iako se palijativni bolesnici s poteškoćama koje se ne mogu riješiti u kućnim uvjetima primaju na bolničko liječenje u Županijsku bolnicu Čakovec, u Međimurskoj županiji ne postoji odjel palijativne skrbi koji je zbog svog speci�ičnog prostora i pristupa skrbi i palijativnim bolesnicima neophodan u svakoj županiji u Hrvatskoj. Stoga su nastojanja profesionalaca, ali i građana i institucija u Međimurju, usmjerena tom cilju u skoroj budućnosti.

Piše: Renata Bermanec
Foto: Mario Golenko
Medicinske sestre u mobilnom palijativnom timu su Adrijana Ritonja, Željka Platak i Monika Puklek
Novi prostori Udruge "Pomoć neizlječivima" na lokaciji Franjevački trg 1, Čakovec
Danica

INTERVJU S DR. FRANKOM ŽUVELOM, dr. med. spec. radiologije

u Poliklinici Medikol

Kako suvremena radiologija mijenja medicinu?

U posljednjih deset godina radiologija je značajno napredovala. Slikovne metode postale su detaljnije, brže i dostupnije, dok su istovremeno doze zračenja smanjene.

Radiologija je grana medicine koja nam pomaže da bez operacija i invazivnih zahvata zavirimo u unu zavirimo u unutrašnjost tijela i otkrijemo moguće zdravstvene probleme. Kroz metode poput rendgenskih snimaka, ultrazvuka, magnetske rezonancije i CT-a, liječnici mogu brzo i precizno postaviti dijagnozu te pratiti tijek liječenja. Osim što pomaže u otkrivanju bolesti, radiologija danas sve više sudjeluje i u liječenju, koristeći napredne tehnike intervencijske radiologije. O tome kako se radiologija razvija, koje su najnovije dijagnostičke metode dostupne pacijentima i što donosi budućnost razgovaramo s Frankom Žuvelom, dr. med. spec. radiologije u Poliklinici Medikol.

- Što vas je privuklo radiologiji i koje je područje vašeg posebnog interesa?

"Radiologija me privukla jer spaja medicinu i naprednu tehnologiju, omogućujući preciznu dijagnostiku širokog spektra bolesti. Različite slikovne metode – poput ultrazvuka, CT-a i MR-a – igraju ključnu ulogu u brzom i točnom prepoznavanju stanja pacijenata. Posebno me zanima radiologija mišićno-koštanog sustava i neuroradiologija jer omogućuju detaljan uvid u složene strukture tijela te igraju ključnu ulogu u dijagnostici ozljeda i neuroloških bolesti. - Što je zadatak radiološke dijagnostike? Koje su njezine mogućnosti danas u odnosu na prije deset godina?

Franko Žuvela, dr. med. spec. radiologije

Današnja CT dijagnostika omogućuje precizniju sliku i kraće vrijeme snimanja uz daleko manju izloženost zračenju u usporedbi s onima prije deset godina

Radiološka dijagnostika koristi različite slikovne metode – RTG, CT, UZV i MR – kako bi omogućila precizno dijagnosticiranje, praćenje i planiranje liječenja pacijenata. Osim što igra ključnu ulogu u prepoznavanju bolesti, radiologija danas nije isključivo dijagnostička grana, već sve više sudjeluje i u terapijskim postupcima kroz intervencijsku radiologiju.

Dr. Franko Žuvela, spec. radiologije s inženjerima radiologije Sanjom Vuk i Eduardom Borščakom

U posljednjih deset godina radiologija je značajno napredovala. Slikovne metode postale su detaljnije, brže i dostupnije, dok su istovremeno doze zračenja smanjene. Primjerice, današnja CT dijagnostika omogućuje precizniju sliku i kraće vrijeme snimanja uz daleko manju izloženost zračenju u usporedbi s onima prije deset godina.

- Koje dijagnostičke postupke pacijenti mogu obaviti na vašem odjelu u Čakovcu i po čemu se izdvajaju?

Na našem radiološkom odjelu u Čakovcu pacijenti mogu obaviti sve ključne slikovne pretrage – ultrazvuk s color dopplerom, rendgen (RTG), kompjutoriziranu tomogra�iju (CT) i magnetsku rezonanciju (MR). Kontinuirano pratimo najnovije medicinske standarde kako bismo osigurali preciznu i pouzdanu dijagnostiku. Posebno izdvajamo nadolazeću mogućnost MR artrogra�ije ramena, koja će pacijentima omogućiti još detaljniju analizu zglobnih struktura, što je ključno za dijagnosticiranje ozljeda i drugih stanja ramenog zgloba.

- Zašto su važni preventivni pregledi i kako balansirate između potrebe za ranom dijagnostikom i izbjegavanja nepotrebne izloženosti zračenju?

Preventivni pregledi igraju ključnu ulogu u ranom otkrivanju malignih i

potencijalno malignih stanja, što omogućuje pravovremeno liječenje i značajno poboljšava ishod terapije. Rana dijagnoza često znači manje invazivne metode liječenja i veću šansu za potpuni oporavak. Kako bismo postigli ravnotežu između rane dijagnostike i smanjenja nepotrebne izloženosti zračenju, koristimo metode koje su precizne, ali sigurnije za pacijenta. Primjerice, kada god je moguće, prednost dajemo ultrazvuku i magnetskoj rezonanciji, koje ne koriste ionizirajuće zračenje, dok se rendgenske i CT pretrage provode uz primjenu suvremenih protokola koji minimiziraju dozu zračenja bez gubitka kvalitete slike.

"Virtualna kolonoskopija, neinvazivna je i brža alternativa klasičnoj kolonoskopiji, a izvodi se na CT uređaju, što postupak čini ugodnijim

- U Poliklinici Medikol u Čakovcu se može obaviti i MSCT kolonogra�ija. Možete li nam pojasniti o kakvom postupku se radi i što će on donijeti u prevenciji i liječenju najtežih bolesti po kojima smo po broju oboljelih u samom vrhu Europske unije? MSCT kolonogra�ija, poznata i kao virtualna kolonoskopija, neinvazivna je i brža alternativa klasičnoj kolonoskopiji, a izvodi se na CT uređaju. Omogućuje preciznu detekciju polipa, divertikula i karcinoma debelog crijeva bez potrebe za sedacijom. U Poliklinici Medikol koristi se CO₂ umjesto zraka, što postupak čini

ugodnijim i manje bolnim, a zahvaljujući suvremenim višeslojnim CT uređajima, doza zračenja je značajno smanjena. Sam postupak traje oko 15 minuta i ne zahtijeva sedaciju. Analizira se cijelo debelo crijevo kako bi se isključilo ili potvrdilo postojanje patološkog procesa. Osim promjena unutar debelog crijeva pretraga omogućuje analizu i ostalih organa u abdomenu i zdjelici. Preporučuje se kao screening metoda za osobe starije od 50 godina, odnosno od 40. godine ako postoji obiteljska anamneza raka debelog crijeva.

- Koliko je korisno napraviti magnetsku rezonanciju (MR) cijelog tijela u svrhu preventivnog pregleda?

MR cijelog tijela, koju obavljamo u Čakovcu, može biti korisna metoda za orijentacijski pregled jer omogućuje detaljan uvid u različite organe i tkiva bez izlaganja ionizirajućem zračenju. Iako nije zamjena za ciljane pretrage, može pomoći u ranom otkrivanju potencijalnih abnormalnosti i usmjeriti daljnju dijagnostičku obradu kada postoji medicinska indikacija.

- Kako vidite budućnost radiologije – koje tehnologije ili metode će najviše promijeniti način na koji radite?

Budućnost radiologije donijet će daljnji razvoj postojećih slikovnih metoda, uz još bolju rezoluciju i brže pretrage s nižim dozama zračenja. Ključnu ulogu imat će umjetna inteligencija (AI), koja će pomoći u analizi snimaka, ubrzati dijagnostiku i poboljšati točnost detekcije bolesti. Očekuje se da će AI sustavi omogućiti bržu i precizniju interpretaciju nalaza, što će liječnicima ostaviti više vremena za individualni pristup pacijentima i donošenje kliničkih odluka.

SAVJETI IZ BIOVITALISA

Prirodna pomoć kod bolnih zglobova

Zbog bolova koje osjećamo prilikom najmanjeg kretanja često nam se smanjuje kvaliteta života

Bolesti zglobova, poput artritisa, osteoartritisa i reumatoidnog artritisa, pogađaju milijune ljudi diljem svijeta. One mogu ozbiljno narušiti kvalitetu života, otežavajući kretanje i uzrokujući neprestanu bol. Srećom, prirodni pristupi mogu pomoći u ublažavanju simptoma, poboljšanju pokretljivosti i smanjenju upale. Prirodni pristupi mogu biti izuzetno korisni u borbi protiv bolnih zglobova. Pravilna prehrana, dodaci, tjelovježba, terapije toplinom i hladnoćom te mentalna ravnoteža mogu zajedno donijeti značajno olakšanje. Važno je konzultirati se s liječnikom prije uvođenja novih tretmana, ali uz malo truda i prirodne podrške, moguće je poboljšati kvalitetu života i smanjiti bol u zglobovima.

Proizvodi s kurkumom djeluju preventivno na bolju pokretljivost zglobova i pozitivno utječu na razne upalne bolesti kostiju i zglobova

BIOVITALIS® Kurkumin gel

Bolni zglobovi predstavljaju prepreku u svakodnevnim životnim aktivnostima. Ljudi koji žive s bolovima pribjegavaju uzimanju analgetika čak i u većoj dozi od preporučenih količina. Slabija pokretljivost i bolovi mogu dovesti do izbjegavanja aktivnosti i minimalnog kretanja što opet može dovesti do povećanja tjelesne težine i niza loših efekata u organizmu. Ako ste aktivan sportaš ili se sportom bavite rekreativno, sigurno ste se imali priliku susresti s neželjenim posljedicama kao što su ozljede, uganuća, bolovi, upale mišića i zglobova. Stariji su ljudi često iscrpljeni zbog kroničnih bolesti koje utječu na slabiju pokretljivost.

BIOVITALIS® Kurkumin gel je posebno formuliran gel s kurkumom i kondroitinom, namijenjen poboljšanju pokretljivosti tijela. S regenerativnim učinkom, umiruje i hladi, čineći ga savršenim izborom za rekreativce, aktivne sportaše, starije osobe te sve koji teže lakšoj pokretljivosti tijela. Osobito je koristan nakon teške fizičke aktivnosti i ubrzava oporavak nakon velikih sportskih izazova. Nanosi se nekoliko puta na dan na željeno područje, brzo se upija i ne ostavlja masne ni ljepljive tragove. Kurkumin gel može ostaviti trag žućkaste boje na koži, no ona se pranjem ispire. Kurkumin gel sadrži visokopročišćeni kondroitin koji je zaslužan za regeneraciju istrošenih dijelova, dok ekstrakt kurkume blagotvorno umiruje. Efekt hlađenja dodatno doprinosi osjećaju lakše pokretljivosti. BIOVI TALIS® Kurkumin gel dostupan je u ljekarnama.

BIOVITALIS® Magnezij Forte gel

BIOVITALIS® Magnezij FORTE gel namijenjen je za masažu i nadoknadu magnezija preko kože nakon intenzivne tjelesne aktivnosti. Gel sadrži visoku koncentraciju magnezijevog klorida (MgCl 2 ) – čak 35 posto – za brzu i učinkovitu apsorpciju preko kože. Jedna dnevna doza (čajna žličica) odgovara čak 580 mg magnezija za brzu primjenu preko kože. Magnezij je jedan od najvažnijih mikronutrijenata i sudjeluje u brojnim procesima u organizmu. Nedovoljan unos magnezija očituje se simptomima poput mišićne napetosti i grčeva, umora, glavobolje. U stanjima kao što su trudnoća, rast, stres ili pojačana tjelesna aktivnost povećana je potreba za magnezijem. Postoji prednost primjene magnezija preko kože u odnosu na primjenu u obliku tableta, kapsula ili šumećih tableta jer se zaobilazi probavni sustav, te je apsorpcija brža i učinkovitija. BIOVITALIS® Magnezij FORTE gel dostupan je u ljekarnama i specijaliziranim trgovinama.

Postoje prirodni proizvodi na bazi kurkume koji nemaju neželjenih učinaka i nuspojava na organizam te nisu štetni.

BIOVITALIS® Kurkumin gel regenerira istrošene dijelove

BIOVITALIS® Kurkumin gel namijenjen je rekreativnim i aktivnim sportašima, starijim osobama te svima koji žele lakšu pokretljivost tijela. Gel sadrži visoko pročišćeni kondroitin koji je zaslužan za regeneraciju istrošenih dijelova, dok ekstrakt kurkume blagotvorno umiruje. Efekt hlađenja dodatno doprinosi osjećaju lakše pokretljivosti. Bogata formulacija BIOVITALIS® Kurkumin gela sadrži čak 6 prirodnih sastojaka za što potpuniji učinak: kurkumu, kondroitin, gavez, klinčić, mentol i kamfor. Lako se razmazuje, brzo upija i ne ostavlja mastan trag. Gel nježno

Prirodni proizvodi na bazi kurkume nemaju neželjenih učinaka i nuspojava na organizam te nisu štetni

INFO

BIOVITALIS d.o.o.

Ulica Franje Bužanića 5 42204 Gornji Kneginec

T: +385 42 652 099

E: webshop@biovitalis.hr www.biovitalis.hr

umasirajte u tankom sloju na željeno područje, 3 do 4 puta dnevno. Uz umjereno kretanje i tjelovježbu te upornu upotrebu prirodnih gelova na bazi kurkume, bol u zglobovima moguće je svesti na minimum i uživati u svakodnevnim aktivnostima. BIOVITALIS® Kurkumin gel namijenjen je rekreativnim i aktivnim sportašima, starijim osobama te svima koji žele lakšu pokretljivost tijela.

Image by freepik
BIOVITALIS® Magnezij Forte gel ima bržu i učinkovitiju apsorpciju magnezija preko kože

FIZIKALNA TERAPIJA I REHABILITACIJA HORVAT

Vratite motoriku uz najmoderniji robot za neurorehabilitaciju

Robotska neurorehabilitacija je robotski i računalno potpomognuta rehabilitacija gornjih i donjih ekstremiteta s ciljem oporavka izgubljene motorike, namijenjena neurološkim i ortopedskim pacijentima s akutnim ili kroničnim stanjima. U Fizikalnoj terapiji i rehabilitaciji Horvat to je revolucija u području neurorehabilitacije i ortopedske rehabilitacije

Fizikalna terapija i rehabilitacija Horvat u ponudi ima jedinstvenu i inovativnu tehnologiju u području neurorehabilitacije i ortopedske terapije. Robot je namijenjen je za provođenje terapija kroz sve faze rehabilitacije, a zahvaljujući ugrađenim igrama za rehabilitaciju pridonosi ublažavanju pacijentove ukočenosti prilikom terapije.

Što je to robotska neurorehabilitacija?

Robotska neurorehabilitacija je robotski i računalno potpomognuta rehabilitacija gornjih i donjih ekstremiteta radi oporavka izgubljene motorike, namijenjena pacijentima s neurološkim i ortopedskim oštećenjima i oboljenjima. Robotska neurorehabilitacija upotrebljava robotske i senzorne uređaje koji pomažu, povećavaju i pojačavaju učinke terapije. Napredna rehabilitacija kombinacijom tradicionalne terapije te robotski i računalne potpomognute teh-

nologije omogućava pacijentu da postigne najbolje moguće rezultate. Robotska neurorehabilitacija omogućava bržu obnovu izgubljene motorike te igrom motivira pacijenta na učestalo

vježbanje čime se postiže e�ikasna, motivirajuća i personalizirana terapija za pacijente svih dobnih skupina i u svim fazama rehabilitacije. Rezultati i napredak procesa rehabilitacije kontinuirano se mjere i dokumentiraju te se prati napredak rehabilitacije.

Za koga je neurorehabilitacija?

Robot za neurorehabilitaciju posebno je koristan kod pacijenata s:

• pretrpljenim moždanim udarom

• nepotpunom ozljedom leđne moždine

• multiplom sklerozom

• spinalnom mišićnom atro�ijom

• prij elomom kostiju

• inkontinencijom mišića dna zdjelice

• svakim neurološkim poremećajem djelomične intervencije

• oporavkom nakon operacije i drugo.

Robotska tehnologija budućnost je rehabilitacije pacijenata

Pokreti pacijenta na robotu su aktivni na temelju bioelektričnih signala (EMG) dobivenih iz mišića pacijenta. Posebno je učinkovit kod pacijenata s kliničkom slabošću, dopuštajući veću aktivnost motornih jedinica tijekom aktivacije mišića.

Tim stručnjaka u Fizikalnoj terapiji i rehabilitaciji Horvat

INFO

Fizikalna terapija Alen Horvat Franje Punčeca 4 40000 Čakovec

M: +385 95 865 1326

T: +385 40 550 408

E: alen.horvat@fizioterapija-horvat.hr

"Robot za neurorehabilitaciju omogućava liječenje i dijagnostiku teških neuroloških pacijenata

Osim toga, omogućava liječenje i dijagnostiku teških neuroloških pacijenata. Zahvaljujući prilagođenim i automatskim programima treninga robota, pacijenti su aktivniji te se smanjuje radno opterećenje terapeuta.

Robot je namijenjen za provođenje tretmana kroz sve faze rehabilitacije, a zahvaljujući ugrađenim igrama za rehabilitaciju pridonosi ublažavanju pacijentove ukočenosti prilikom terapije, a posebice djece.

Glavni pokazatelji uspješnosti terapije

• povećanje mišićne snage

• povećanje raspona pokreta

• povećanje koordinacije

Naručite se na robotsku rehabilitaciju u Fizikalnu praksu Alen Horvat! Uz stručne terapeute Fizikalne terapije i rehabilitacije Horvat koji su obučeni za rad tim inovativnim uređajem, možete biti sigurni da će terapija biti prilagođena vašim speci�ičnim potrebama. Cilj je pomoći da se vratite u optimalno zdravstveno stanje, bez obzira na to kakav je vaš trenutni motorički status.

S obzirom na sve prednosti terapije, očekuje se da će se sve više ljudi okrenuti robotskoj neurorehabilitaciji kako bi poboljšali svoje zdravlje i kvalitetu života.

Revolucija

ORDINACIJA DENTALNE MEDICINE I NEKIRURŠKE ESTETSKE MEDICINE DAMIRA MAĐARIĆ

Vaša destinacija za vrhunsku dentalnu i estetsku njegu

Ordinacija dentalne medicine i nekirurške estetske medicine

Damira Mađarić nudi sveobuhvatan spektar usluga, od temeljnih stomatoloških pregleda i rješenja za dentalne probleme do najnovijih inovacija u nekirurškim estetskim tretmanima. Bilo da je riječ o pomlađivanju kože ili blistavom izgledu vaših zuba, uvijek garantiraju najvišu razinu stručnosti i pažnje prema svakom pacijentu.

Stručnost i predanost u estetskom i oralnom zdravlju

Doktorica Mađarić predana je oralnom i estetskom zdravlju te pruža personalizirani pristup koji će vam pomoći da vratite samopouzdanje i osjećate se najbolje u svojoj koži.

Nude najsuvremenije tehnologije s pristupom koji stavlja pacijenta na prvo mjesto te sa stručnim timom koriste inovativne metode i opremu kako bi osigurali najbolju moguću njegu, ali i udobnost svakom pacijentu.

Pružaju sve što vam je potrebno za zdrave zube i prekrasan osmijeh u prostoru gdje se možete osjećati sigurno i opušteno.

Usluge koje nude:

• dječja i preventivna stomatologija

• konzervativna stomatologija i endodontsko liječenje zuba

• sve vrste protetike i implantologije

• izbjeljivanje zuba

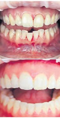
Zašto je važan redovan stomatološki pregled?

Važnost redovitih posjeta stomatologu i zdravlje zuba utječe na cjelokupno zdravlje vašeg tijela. Redovne posjete stomatologu ključne su za očuvanje zdravlja usne šupljine, ali i prevenciju ozbiljnijih problema.

Razlozi za redovan pregled:

• Otkrivanje problema u ranoj fazi –karijes, upale desni ili čak karcinomi usne šupljine mogu se otkriti i liječiti na vrijeme.

Zdravlje zuba utječe na cjelokupno zdravlje vašeg tijela

Hijaluronski fileri za usne

Damira Mađarić, dr. med.dent. Ordinacija dentalne medicine i nekirurške estetske medicine

Športska ulica 6A, Čakovec, u MTC centru na prvom katu

T: +385 040 866 858

E: info@dentaliestetikadm.hr

• Profesionalno čišćenje zuba i pjeskarenje sprječava nakupljanje kamenca i plaka, što znači manje šanse za nastanak bolesti desni.

• Povećava se samopouzdanje – zdrav osmijeh čini čuda za vaš izgled i samopouzdanje!

• I zato, ne čekajte bol – prevenirajte! Pružite svojim zubima najbolju njegu. Zdrav osmijeh počinje redovitom brigom!

Six month smiles

U ordinaciji nude uslugu, ortodonciju ������ ���������� ������������ kojom možete ispraviti sve nepravilnosti koje vas smetaju i pokloniti si osmijeh koji zaslužujete. Six Month Smiles je ortodoncija kod koje ortodontskim aparatićem i alignerima ispravljamo blage do umjerene ortodontske anomalije na zubima, poput nepravilnog položaja zuba. Aparatić ima prozirne bravice i žice u boji zuba što ga čini diskretnim i estetski prihvatljivim. Terapija obično traje oko šest mjeseci, iako stvarno trajanje može varirati ovisno o složenosti slučaja. Six Month Smiles je idealan za odrasle koji žele brzo poboljšati osmijeh.

Estetski tretmani za pomlađivanje kože

Mnogi od nas suočavaju se s posljedicama stresa, nepravilne prehrane, izloženosti suncu i drugih faktora koji negativno utječu na izgled naše kože. S vremenom, koža gubi svoju prirodnu elastičnost, tonus i hidrataciju, a bore i

Poklonite si mladoliko lice i vratite samopouzdanje

linije postaju vidljivije. No, zahvaljujući napretku u estetskoj medicini, postoje inovativni nekirurški estetski tretmani koji mogu pomoći u vraćanju mladenačkog izgleda, prirodnog sjaja i u prevenciji starenja kože.

Estetski tretmani u ponudi:

• Hijaluronski �ileri za lice i usne za povećanje volumena i ublažavanje bora

• Botox kojim relaksiramo dio mišića i brišemo bore (udubine u koži iznad kontrahiranog mišića)

• Biomicroneedling

• Polinukleotidi

• Skinboosteri (Pro�hilo, TKN HA3)

• Biosimulatori

• Kemijski peeling

Profhilo - instant korak u pomlađivanju lica

Pro�hilo je revolucijska terapija na bazi hijaluronske kiseline koja se koristi za dubinsku hidrataciju kože, poboljšanje njene elastičnosti i tonusa. Ovaj tretman je jedinstven zbog svoje sposobnosti da se uspješno bori protiv starenja kože, s minimalnim naporom i brzim rezultatima. S obzirom na to da se radi o injekcijama hijaluronske kiseline, Pro�hilo omogućava prirodan izgled, bez potrebe za operativnim zahvatima.

Kako djeluje Profhilo?

Pro�hilo se koristi za obnavljanje strukture kože kroz stimulaciju kolagena i elastina. Ove dvije komponente ključne su za zdrav izgled i čvrstoću kože, no s vremenom se njihova proi-

zvodnja smanjuje, što dovodi do gubitka volumena, elastičnosti i pojave bora. Pro�hilo sadrži kombinaciju hijaluronske kiseline visoke i niske molekularne mase koja se injektira u kožu na pet speci�ičnih mjesta te mu mehanizam djelovanja nije postizanje volumena, već stvaranje novog veziva i povećanja masnih stanica. Ove injekcije poboljšavaju hidrataciju kože i vraćaju joj prirodan volumen. Tretman je posebno učinkovit na područjima poput lica, vrata, ruku, dekoltea i drugih dijelova tijela koji su skloni pokazivanju znakova starenja.

Bio-Microneedling

Biomicroneedling je mezoterapija gdje se umjesto metalnih iglica (microneedling) upotrebljavaju i utrljavaju u kožu spikule spongile (slatkovodne spužve) koje na sebi imaju iglice (1 gram sadrži 5 – 6 milijuna iglica ) i za razliku od metalnih iglica biomicroneedlingom se ne probijaju krvne žile, nema krvarenja i nema boli. Rana je vrlo mala i uvelike se smanjuje mogućnost infekcije. Nakon biomicroneedelinga vrijeme oporavka je jako kratko te se make up može nanijeti već idući dan. Tretman se koristi se za uklanjanje akna, ožiljaka, strija, hiperpigmentacija i bora.

Biomicroneedlingom se ne probijaju krvne žile, nema krvarenja i nema boli

Posebni prilog
dr.med.dent. Damira Mađarić
Six Month Smiles

POLIKLINIKA ANALIZA U VARAŽDINU VAŠ PARTNER U DIJAGNOSTICI ALERGIJA I INTOLERANCIJE NA HRANU

Je li vaša prehrana uzrok vaših tegoba?

Razlikovanje alergije od intolerancije na hranu ključno je za pravilno reagiranje kod simptoma i poboljšanje kvalitete života

Svakodnevno se suočavate s glavoboljom, osjećajem nadutosti, probavnim smetnjama, problemima s kožom ili kroničnim umorom, ali s obzirom na to da ste se na njih navikli više ih niti ne smatrate simptomima? Vaša prehrana mogla bi biti glavni krivac. Alergije na hranu i intolerancija na hranu možda nisu najčešće teme za razgovor, ali njihovi simptomi mogu značajno utjecati na vašu svakodnevicu.

Sve veći broj istraživanja pokazuje da određene namirnice mogu uzrokovati dugotrajne zdravstvene probleme, čak i ako ih konzumirate u malim količinama. Ponekad je teško prepoznati što točno uzrokuje neugodne simptome jer reakcije organizma mogu varirati od osobe do osobe. Dok će netko osjetiti nelagodu već nekoliko minuta nakon jela, drugi mogu razviti simptome tek nakon nekoliko sati ili dana.

Alergija na hranu ili intolerancija? Koja je razlika?

Iako su oba stanja povezana s hranom, alergija na hranu i intolerancija na hranu imaju potpuno različite uzroke i simptome. Za početak, važno je razumjeti razliku između IgG i IgE antitijela, koja su ključna za reakcije organizma.

IgE Antitijela –Akutna reakcija

Alergija na hranu uključuje brzi imunološki odgovor, aktivirajući IgE antitijela koja uzrokuju odmah prepoznatljive simptome:

Testovi intolerancije na hranu pružaju uvid u specifične reakcije tijela na hranu te su alat za personaliziranje prehrane

osip, otežano disanje, oticanje usana ili jezika, pa čak i ana�ilaktički šok. Takve reakcije mogu nastati doslovno nekoliko minuta nakon što pojedete određenu hranu. Među najpoznatijim alergenima su orašasti plodovi, mlijeko, jaja i školjke.

IgG Antitijela –Sporija reakcija

"REZERVIRAJTE SVOJ TERMIN!

Ne čekajte da vas nepoznati alergeni ili intolerancije ograničavaju. Posjetite Polikliniku Analiza u Varaždinu na adresi Ulica Janka Jurkovića 2a, kod starog ulaza u bolnicu, na rotoru Braće Radić i vratite kontrolu nad svojim zdravljem!

T: + 385 1 2099 880 www.poliklinika-analiza.hr

S druge strane, intolerancija na hranu, koja uključuje IgG antitijela, izaziva daleko sporije reakcije. Simptomi se mogu pojaviti nekoliko sati pa čak i dana nakon konzumacije. Ovdje se ne radi o akutnoj opasnosti, ali ljudi koji imaju intoleranciju često pate od nadutosti, probavnih smetnji, glavobolja, pa čak i umora. Intolerancija ne predstavlja neposrednu prijetnju zdravlju, ali dugoročno može značajno utjecati na zdravlje i kvalitetu života. Kao primjer koji je možda najlakše razumjeti je dugotrajno nakupljanje vode u tijelu zbog obrane imunološkog sustava koji hranu shvaća kao neprijatelja. Nerijetko čitamo o osobama koje su u kratko vrijeme izgubile veliki broj kilograma. Jedna od činjenica je da je značajan udio u tim kilogramima voda koja se sustavno nakuplja reakcijom imuniteta zbog hrane koja nam ne odgovara. Samom eliminacijom tih namirnica eliminira se nakupljanje vode i gube se kilogrami.

Primjer križnih reakcija kod alergija: kada dva alergena stvaraju probleme zajedno

Još jedna zanimljiva i često nedovoljno prepoznata situacija su križne reakcije. Ovo je fenomen kada ne morate biti alergični na svaku hranu pojedinačno, ali kombinacija određenih sastojaka može izazvati reakciju. Na primjer, osoba koja nije alergična ni na bademe ni na jaja može osjetiti alergijske simptome kada pojede tortu u kojem se oba sastojka nalaze zajedno. Ovo je poznato kao križna reakcija – situacija u kojoj kombinacija određenih alergena aktivira imunološ-

Alergije su akutna stanja koja mogu uključivati reakcije poput osipa, gušenja ili anafilaktičkog šoka

ki odgovor, čak iako sami alergeni nisu uzrokovali reakciju. Testiranjem se mogu prepoznati ovakve situacije i pomoći u razumijevanju speci�ičnih reakcija vašeg organizma.

Testiranjem do bolje prehrane i zdravlja

Kroz precizne i napredne testove, poput Alergo295 i Testa intolerancije na hranu koje je prve u Hrvatskoj uvela Poliklinika Analiza, možete saznati koje su to točno namirnice koje uzrokuju vaše smetnje. Ovi testovi omogućuju brzu i preciznu dijagnostiku te se reakcije ne odvijaju na koži već se testiranje radi iz krvi, što ih čini idealnim za sve uzraste, uključujući djecu.

Najpopularniji testovi:

• Alergo295 test – Koristi naprednu nanotehnologiju za otkrivanje alergena

Izrežite kupon i ostvarite

u izuzetno malim koncentracijama, eliminirajući mogućnost ljudske pogreške. Ovaj test ne samo da otkriva alergije, već daje informaciju u jačini alergije, te omogućuje bolje razumijevanje križnih reakcija. Također ono što izdvaja ovaj test od drugih testova na alergije je to što nije potrebno prekidati medikamentoznu terapiju, uključujući uzimanje antihistaminika i kortikosteroida.

• Test intolerancije na hranu – Analizira IgG antitijela i pomaže u prepoznavanju koja vam hrana smeta, omogućujući vam prilagodbu prehrane i smanjenje simptoma. Uz pomoć ovog testiranja pronađite rješenje za vaše probavne smetnje, kožne probleme poput dermatitisa, psorijaze i akni, glavobolje i višak kilograma.

Sezona alergija je pred vratima –Budite spremni!

S dolaskom proljeća i povećanom koncentracijom peludi, sezonske alergije mogu ponovno postati problem. Ako osjetite simptome poput kihanja, svrbeža očiju ili curenja nosa, testiranje može pomoći u identi�ikaciji speci�ičnih alergena i pronalaženju načina za lakšu detekciju problema i eliminaciju simptoma.

20% popusta Ekskluzivna ponuda za čitatelje Međimurskih novina!

do 7. ožujka 2025.

Poklanjamo vam 20 % popusta na testove Alergo295 i Intoleranciju na 220 namirnica, do 7. ožujka! Za navedene testove potrebno je samo vađenje krvi, a rezultate ćete dobiti kroz samo tjedan dana, s popisom namirnica koje uzrokuju vaše smetnje. U cijeni testiranja uključena je i konzultacija s liječnikom, te interpretacija rezultata. Iskoristite ovu priliku i poboljšajte svoje zdravlje.

Vrijedi

Novost u ponudi Medicinsko-estetskog centra Vital

Frakcijska radiofrekvencija

s microneedlingom (MRF)

revolucija u njezi lica

Novo u ponudi Medicinsko-estetskog centra Vital je uređaj najnovije i najbolje inovativne tehnologije koji kombinira tehnologiju microneedlinga i frakcijske radiofrekvencije.

Novo u ponudi Medicinsko-estetskog centra Vital je uređaj najnovije i najbolje inovativne tehnologije koji kombinira tehnologiju microneedlinga i frakcijske radiofrekvencije. Kako ovaj najnoviji uređaj funkcionira, kakvo mu je djelovanje te kakve rezultate možete očekivati, pitali smo Karmelu Bali, vlasnicu medicinsko-estetskog centra Vital kojeg uspješno vodi već 19 godina, a specijaliziran je za sve estetske problematike kao i dermatološke probleme na koži.

Što je to frakcijski microneedling (MRF)?

Microneedling je estetski tretman koji koristi sitne iglice za poticanje prirodne regeneracije kože. Ovaj postupak poboljšava teksturu kože, smanjuje ožiljke, sitne bore i pigmentacijske mrlje te pruža svježi, mladenački izgled. Microneedling je siguran i učinkovit za većinu tipova kože.

"Za optimalne rezultate potrebna su tri tretmana, a Karmela iz Vitala poziva na konzultacije za individualnu procjenu

Ovaj tretman uključuje upotrebu uređaja koji sadrži mnogo malih iglica koje stvaraju mikroposjeke na koži, čime stimuliraju prirodni proces zacjeljivanja i proizvodnju kolagena.

Kako djeluje microneedling u kombinaciji s frakcijskim radiofrekvencijama?

Frakcijska radiofrekvencija pomlađivanje kože je tretman koji isporučuje toplinu direktno u dermalno tkivo, tj.

u dublje slojeve kože, pri čemu vanjski sloj kože ostaje netaknut. Na taj se način potiče proizvodnja kolagena i elastina, što rezultira pomlađivanjem i zatezanjem kožnog tkiva te poboljšanjem metaboliz-

Kome su namijenjeni ovakvi tretmani i koje su kontraindikacije?

Indikacije:

• Duboke bore

• Pad tonusa

• Opuštena koža

• Sitne linije i bore

• Opuštena koža na vratu

• Podbradak

• Koža oštećena suncem

• Ožiljci od akni

• Kirurški ožiljci i strije

• Hiperpigmentacije

• Proširene pore

Kontraindikacije:

• kod pacijenata s ugrađenim pacemakerom, defibrilatorom ili drugim implatacijskim uređajima

• pacijenata s metalnim ili silikonskim implantatima na mjestu primjene

• osoba s trenutnom infekcijom na mjestu primjene ili virusnom infrkcijom nor. herpes simplex

• onkoloških pacijenata

• pacijenata na antikoagulatnoj terapiji

• kod autoimunih bolesti povezanih s kožom

• kod trudnica i dojilja

ma i ubrzanom regeneracijom kože. Sami rezultati traju nekoliko godina.

Medicinski microneedling bez oštećenja dermisa

Tretmani su prilagođeni svim tipovima kože jer ne stvaraju toplinska oštećenja dermisa te se tako znatno smanjuje rizik nastanka postupalnih hiperpigmentacija, što je i nuspojava nekih tehnika obnavljanja. Budući da se prilikom prodiranja topline u dublje slojeve kože zahvaća samo 5 % epiderme, postiže se brzo cijeljenje i oporavak. Individualni medicinski tretman za svaki tip kože

Dolazi s nekoliko vrsta nastavaka i dužina iglica pa se svaki tretman može prilagoditi individualnim potrebama pacijenta koji će tako dobiti posve personaliziran pristup i rješavanje specifične problematike.

INFO

Medicinsko-estetski centar Vital

Ivana Gundulića 48, Čakovec

T: +385 40 390 460 M: +385 98 1672 541 E: vital.karmela@gmail.com www.gdjeljepotapocinje.hr

Ako vas muče duboki ožiljci, podbradak, akne Sterilni nastavak odnosno terapeutska glava sastoji se od zlatnih mikroiglica koje prodiru do dubine od 4 mm, a koristi se za čitavo lice i vrat. Odlično je za liječenje bora i pomlađivanje kože, kod ožiljaka od akni, kirurških ožiljaka poput carskog reza, i poboljšanje općeg tona kože, a nevjerojatni rezultati postižu se na vratu te u rješavanju podbratka, kao i uklanjanje podočnjaka, objasnila nam je Karmela.

Je li tretman bolan?

Kao i kod svih drugih tretmana pomlađivanja, većinu pacijenata zanima je li tretman bolan, kada se mogu vidjeti prvi rezultati te koliko će oni potrajati. Kako nam je objasnila Karmela iz Vitala, tretman je znatno manje bolan od očekivanog.

Moram napomenuti da se radi o jakim frakcijskim frekvencijama i ozbiljnim dubinama, uz lokalnu anesteziju i hlađenje tkiva oxy terapijom nakon tretmana.

Koliko traje oporavak?

Crvenilo kože koje se javlja kod tretmana jako brzo nestaje, već nakon nekoliko sati. Čak puno brže nego kod klasičnog microneedlinga, a rezultati su puno učinkovitiji. Koža može biti lagano suha i potrebna je pojačana hidratacija, savjetuje Karmela.

Kakve rezultate možete očekivati?

Što se rezultata tiče, budući da je potrebno oko mjesec dana za stvaranje novog kolagena, u tom je periodu moguće vidjeti i prve rezultati. Potrebno je napraviti nekoliko tretmana u razmaku od mjesec dana, što ovisi o tipu kože. Sjajno djelovanje ovih tretmana bit će najbolje vidljivo u periodu od 3 do 6 mjeseci.

Rezervirajte svoj termin u Medicinsko-estetskom centru Vital za microneedling u kombinaciji s frakcijskim radiofrekvencijama. Stručna i iskusna Karmela Bali posvetit će se vama i vašoj koži lica. Tretman započinje konzultacijama, završava njegom, a rezultatima ćete biti i više nego zadovoljni.

Karmela Bali iz Vitala

Sredi.se iz Varaždina – nova adresa za život bez stresa

Jedna adresa za cjelokupnu osobnu njegu i zdravlje

Sredi.se nudi usluge za osobnu njegu i omogućava vam da sve riješite na jednom mjestu. Uštedite na vremenu i pobrinite se za vlastiti izgled i zdravlje

Uz Sredi.se iz Varaždina ima novu adresu i na jednom mjestu nudi sve za osobnu njegu i zdravlje. Osigurajte svoje vrijeme za opuštanje.

U ponudi imaju sljedeće usluge:

• Masaže – opustite mišiće, smanjite bol i vratite tijelo u ravnotežu

• Tecar terapiju – za ubrzani oporavak, smanjenje boli i regeneraciju tkiva

• Trigger point terapiju – ciljano uklanjanje napetosti i bolova

• Uređivanje noktiju – manikura, geliranje, trajni lak…

• Profesionalno šminkanje – za sve vaše posebne trenutke, svečane prilike ili svakodnevni make-up

Prepustite se stručnim, profesionalnim rukama i riješite se miogeloza, bolova i upala uz pravu medicinsku masažu ili terapije. Profesionalni tim �izioterapeuta iz Sredi.se brine o vašem

Uštedite 10 % na sve usluge. Ponuda vrijedi za sve tretmane plaćene karticom prilikom rezervacije do 28. 2. 2025. U Sredi.se možete odabrati i poklon-bonove ili pakete usluga za vas ili vaše najdraže.

INFO

Sredi.se

Frana Kurelca 5, 42000 Varaždin

M: +385 91 625 2523

E: info@sredi.se www.sredi.se

zdravlju. Uz masaže i TECAR procedure u Sredi.se osigurajte brži oporavak i riješite se boli u leđima ili vratu. Rezervirajte svoj termin i pomognite sebi da se bolje krećete, osjećate snažnije i živite život bez boli! Za uredne, dugotrajne nokte i make-up zadužena je iskusna vizažistica i noktarica. Zablistajte u svakom trenutku uz šminku i uređene nokte.

Posjetite Sredi.se u Varaždinu i osjetite harmoniju zdravlja, ljepote i opuštanja na jednom mjestu. Rezervirajte svoj termin već danas i recite zbogom stresu!

Na jednom mjestu se opustite i obavite sve usluge osobne njege

Sredi.se nudi izbor masaža za vaše zdravlje

ESAI MORALES
LEPA BRENA
TIM ROTH

Turn static files into dynamic content formats.

Create a flipbook
Issuu converts static files into: digital portfolios, online yearbooks, online catalogs, digital photo albums and more. Sign up and create your flipbook.