Bitácora H2, módulo II

Page 1

Facultad ciencias medicas y de la salud

Histología II

Catedrático: Dra. Dora Bonilla

200-22-9727

Universidad Mariano Gálvez de Guatemala
Melanie Gabriela
Loyo
Barrios
Bitácora Módulo
II

Tubo digestivo

Tub digestiv

Fecha: 15/08/23, 18/08/23

Órganos que lo conforman:

- Esófago

- Estómago

- Intestino delgado

- Intestino grueso (colon)

- Recto

- Ano

Cada uno de estos órganos se compone por

Esófag

- Comunica la faringe con el estómago

- Permite el paso del alimento y evita el reflujo desde el estómago

- Tiene dos zonas estenóticas: a nivel de la aorta y entrada al estómago

- Tiene epitelio plano estratificado no queratinizado

- Su mucosa no es de absorción

- En el tercio superior de la capa muscular es de músculo esquelético

- Tiene glándulas que secretan moco para lubricar y proteger el esófago del reflujo

Las glándulas del esófago son las cardiales, que se encuentran en la lámina propia de la mucosa y las glándulas esofágicas que su parte secretora se encuentra en la submucosa, estas son compuestas túbulo-acinosas.

Estómag

- Tiene 4 partes: cardias, fundus, cuerpo y antro pilórico

- Su mucosa tiene un epitelio simple de células cilíndricas altas

- Las glándulas son tubulares simples o ramificadas

- Su secreción mucosa mucosa produce moco con una alta concentración de bicarbonato y de potasio

- El revestimiento del estómago no cumple con una función absortiva

- Su epitelio descansa sobre una lámina basal

- Las células de las glándulas gástricas van a producir jugo gástrico, el cual tiene HCl que es producido por las células parietales al igual que el factor intrínseco. La pepsina está formada por las células principales y se forma a partir del pepsinógeno y moco

Las glándulas fúndicas están compuestas por cuatro células:

1. Células mucosas del cuello: su localización está en el cuello de la glándula fúndica y secreta el moco sulfatado

2 Células principales o adelomorfas: secretan pepsina, esa secreción es estimulada por la gastrina, histamina y acetilcolina.

3. Células parietales u oxínticas: secretan HCl y factor intrínseco, se localizan en la parte del cuello o en la parte profunda de la glándula

4. Células endocrinas: están en toda la mucosa gástrica, las cerradas son las que no alcanzan la luz y las abiertas son las que alcanzan la luz y tienen quimiorreceptores primarios

Intestin delgad

- Es donde se da la digestión de alimentos y absorción de nutrientes

- Se extiende desde el píloro hasta la válvula íleo-cecal

- Se divide en tres regiones: duodeno tiene forma de C, pared delgada y pliegues, el yeyuno tiene pared gruesa y el íleon no tiene pliegues

- El duodeno y el yeyuno tienen prolongaciones digitales, la diferencia es

que el duodeno va a lubricar y tiene abundantes glándulas de Brunner

- El intestino delgado tiene las válvulas de Kerckring

- En su lámina propia hay criptas de LieberKühn

- Su capa muscular de la mucosa está compuesta por las dos capas de células musculares una circular interna y otra longitudinal externa

- La submucosa tiene glándulas submucosas tubulares que son las glándulas de Brunner

Intestin grues

- Se divide en ciego, colon, ano y recto

- Absorbe la mayor parte del agua y electrolitos

- Carece de vellosidades tiene abundantes criptas de LieberKühn

- No tiene células de Paneth, cavernas o proyecciones

- Su lámina propia, muscularis mucosae y submucosa son parecidas a la del intestino delgado

- Su capa muscular externa se diferencia por la capa longitudinal que reúne 3 listones estrechos de fascículos musculares

- Su capa serosa tiene apéndices epiploicos

Rect coló

- El recto es semejante al colón

- Sus criptas de LieberKühn son más profundas y en menor cantidad

- Su mucosa tiene pliegues longitudinales que son las columnas anales de Morgagni

- El epitelio de la mucosa anal es cilíndrico simple desde el recto hacía la línea pectíneada

- En las válvulas anales tienen un epitelio escamoso no queratinizado

- El conducto anal tiene 3 zonas: colorectal, zona de transición (entre epitelio simple cilíndrico y plano estratificado) y la zona pavimentosa que tiene epitelio plano estratificado

An

- Es muy vascularizado

- Se divide en haces

- La submucosa está constituida por tejido fibroelástico

- Tiene folículos pilosos y glándulas sebáceas

Algunas Patologías

Anemia perniciosa

Úlcera perniciosa

Colitis ulcerosa

Cáncer de colón

Autoevaluación

1 ¿Qué aprendí?

- Aprendí la composición histológica del tubo digestivo y que capas posee con su epitelio o características

2 ¿Qué fue lo más difícil?

- Identificar histológicamente los distintos tipos de células de las glándulas fúndica

3. ¿Qué dudas tengo de lo que aprendí?

- Ninguna duda, la clase fue bien explicada

4 ¿Qué me falta por aprender acerca del tema y cómo lo puedo hacer?

- Me falta agarrar práctica en distinguir las imágenes histológicas y señalar sus partes

Glosario

1. Apéndices omentales: pequeñas proyecciones adiposas de la serosa que se observan en la capa externa del colon

2. Antro pilórico: región más pequeña

3 Cardias: unión del estómago con el esófago

4. Células de Paneth: mantienen la inmunidad innata de la mucosa mediante la secreción de sustancias antimicrobianas

5. Enterocitos: permiten a las células absorber los nutrientes

6. Fundus: forma una especie de bóveda que va a sobresalir por encima del cardias.

7. Haustras colónicas: saculaciones visibles entre las tenias del colón en la superficie externa del ciego y del colón

8 Peritoneo: es una membrana que recubre la pared interna de la cavidad abdominal y protege los órganos abdominales

9. Quimo: mezcla líquida pulposa que secreta el estómago que se une con el intestino delgado

10 Rugae: arrugas gástricas, son pliegues longitudinales o rugosidad

11. Síndrome de Zollinger-Ellison: es la secreción excesiva de gastrina, este síndrome forma úlceras gástricas y duodenales

12.Vellosidades intestinales: proyecciones pequeñas que sobresalen del revestimiento epitelial de la pared intestinal.

13.Prebióticos: son el alimento para la flora que solo puede ser metabolizadas por las bacterias del tracto digestivo

14 Probióticos:son organismos activos que mantienen el sistema digestivo en un estado óptimo.

15.Simbióticos: son una combinación de probióticos y prebióticos

Glándulas anexas al Tubo digestivo

Sistem digestiv III

En clase se vio que este sistema se conforma por el hígado, vesícula biliar y el páncreas

Hígad

¿Cómo cuido mi hígado?

- Trato de comer lo más sano posible, incluyendo en mi dieta muchas frutas y verduras, tomo bastante agua pura y no tomo seguido ningún jugo desintoxicante, pero sería bueno empezar a hacerlo.

Organización estructural del hígado

❖ Parénquima: son cordones bien organizados de hepatocitos que tiene una sola célula de espesor y están separadas por los capilares sinusoidales En los niños tienen dos células de espesor.

❖ Estroma de tejido conjuntivo: acá se encuentran los vasos sanguíneos y linfáticos, nervios que van a discurrir en este estroma de tejido conjuntivo

❖ Capilares sinusoidales o sinusoides: estos van a conformar el conducto vascular entre los cordones de los hepatocitos.

❖ Espacios de Disse: también se le puede llamar espacios perisinusoidales y se van a encontrar entre el endotelio sinusoidal y los hepatocitos

Lobulillos

En clase se vio que el lobulillo hepático clásico está constituido por triadas donde se trazan líneas, la triada de arteria, vena, vena porta, conducto biliar y arteria hepática, esta se encuentra en el espacio de Kiernan. El lobulillo porta es la unión de las partes porta, es un triángulo y tiene las funciones exocrinas del hígado, su eje morfológico es el conducto biliar

El acino hepático es la unión de dos triadas o dos porta, es un rombo

Árbobiliar

- El árbol biliar tiene un revestimiento de colangiocitos que vigilan el flujo biliar y regula su contenido

- Colangiocitos: son células epiteliales que forman el revestimiento interno del árbol biliar

- Conducto biliar: formado por células cúbicas o prismáticas que están rodeadas de tejido conectivo

Vesícul biliar

Páncrea

Triada portal del hígado

1 ¿Qué aprendí?

- Aprendí la composición histológica del hígado, la vesícula biliar y el páncreas

2. ¿Qué fue lo más difícil?

- Identificar histológicamente las figuras imaginarias que se forman en los órganos

3 ¿Qué dudas tengo de lo que aprendí?

- Ninguna duda, la clase fue bien explicada.

4. ¿Qué me falta por aprender acerca del tema y cómo lo puedo hacer?

- Me falta agarrar práctica en distinguir las imágenes histológicas e identificar a que órgano pertenece

Glosario

1. Acino hepático: unidad funcional más pequeña que abarca perfusión sanguínea, metabolismo y patología

2. Canalículo biliar: conductos intercelulares entre los hepatocitos que transportan la bilis hacia los canales biliares.

3. Células de Ito: células hepáticas estrelladas que sirven para almacenar vitamina A

4 Células de Kupffer: también se le llama macrófago sinusoidal estrellado se derivan de monocitos y sirven para degradar eritrocitos dañados que lleguen al bazo.

5. Conducto de Herring: son las ramas delgadas de los conductos biliares interlobulillares por donde transcurre la bilis

6 Espacio de Mall: es donde se origina la linfa en el hígado

7. Hilio o porta hepatitis: doble componente de la vena porta y la arteria hepática.

8. Glucoproteínas: transportan hierro

9. Lipoproteínas: transportan ésteres de colesterol y triglicéridos

10.Lobulillos: unidad funcional del hígado

11. Lobulillo clásico: son trabéculas hepatocíticas anastomosadas

12.Lobulillo portal: incluye porciones del lobulillo clásico que secretan la bilis y de esta manera abarca la función exócrina

13.Conducto de Wirsung: es el conducto mayor, que se une al colédoco y desemboca la ampolla de vater

14.Ampolla de vater: es controlada por el esfínter de Oddi y permite que el contenido pancreático

15.Conducto de santorini: es el conducto menor que vierte los jugos pancreáticos directamente a la papila duodenal menor

Sistema urinario

Sistem urinari

Tarea

¿Cuánta agua tomo, que tomo y cuanto orino? Tomo aproximadamente 2 litros de agua al día, ya que me fui creando ese hábito, al baño voy a orinar aproximadamente unas 6 veces al día

Riñón

Los riñones tienen forma de haba y se encuentran en el espacio retroperitoneal de la cavidad abdominal, el riñón derecho un poco más abajo que el izquierdo En el polo superior de cada riñón hay una capa protectora de tejido adiposo perirrenal en donde se encuentran la glándula suprarrenal El riñón está cubierto por una cápsula de tejido conectivo que tiene una capa externa de fibroblastos y fibras de colágeno y una capa interna con componentes de miofibroblastos.

La Dra explicó en clase que la cápsula renal es como un gajito de mandarina, es una membrana transparente membranosa y esta arriba de la corteza del riñón que se introduce al hilio que es la entrada de arteria, venas y linfáticos y el Seno es una extensión del hilio más profunda en el riñón llena de grasa

Corteza y médula

La corteza es la parte externa pardo rojiza y se va a caracterizar por la presencia de corpúsculos renales con sus túbulos contorneados y rectos de la nefrona, acá se encuentra la nefrona que es la unidad funcional y básica del riñón, en clase se aprendió que cada nefrona se constituye por un glomérulo y varios tubos, todo tubo cerca del glomérulo proximal, lejos se llaman distal y colochos se llaman contorneados

La médula es la parte interna que es mucho más pálida, los túbulos en la médula forman en conjunto una pirámide, la cuál se divide en la médula interna y externa es en donde hay cálices mayores y menores que al sumarse me van a dar la pelvis renal que es el embudo donde se une el uréter Cada pirámide y el tejido cortical asociado con su base van a constituir un lóbulo que está constituido por un conducto colector y las neuronas que drenan Los lóbulos se subdividen en lobulillos

Túbulos de la nefrona

Túbulo contorneado proximal

- Se origina en el polo urinario de la cápsula renal, ingresa en el rayo medular para continuar con el túbulo recto proximal

- Es el sitio inicial y final de la reabsorción

- Recibe el ultrafiltrado desde el espacio urinario de la cápsula renal

- Tiene un borde en cepillo, un complejo de unión por uniones herméticas y adherentes, pliegues en las superficies laterales de las células, un entrelazamiento de evaginanciones basales y estriaciones basales

Túbulo recto proximal

- También se llama rama descendente gruesa del asa renal, ya que como su nombre lo indica va a descender

- Sus células no son tan especializadas para la absorción

Túbulo recto distal

- También se llama rama ascendente gruesa del asa renal

- En este sitio, las células epiteliales del tubo contiguo a la arteriola aferente del glomérulo se van a modificar para formar la mácula densa

- Incluye las porciones medular y cortical

- Transporta iones desde la luz tubular hacia el intersticio Túbulo contorneado distal

- En su parte final desemboca en el conducto colector cortical de un rayo medular a través de un túbulo colector arqueado o de uno más corto que es el túbulo conector.

- Su estructura y su función dependen de la distribución y absorción del Na+

- Comienza a una distancia variable de la mácula densa y se extiende hacia el túbulo conector que comunica la nefrona con el conducto colector cortical

Nota:

- Tubo contorneado distal por trayectos de tubos, no por distancia

- proximal: muchas MV, luz sucia

- Distales: Pocas MV, luz limpia

- Contorneados: luz irregular, forma de codito

- Rectos luz circular, forma cilíndrica

Tipos de nefrona

- Nefronas subcapsulares o corticales, sus corpúsculos están en la parte externa de la corteza

- Nefronas yuxtamedulares, sus corpúsculos renales se van a encontrar cercanos a la base de una pirámide medular

- Nefronas intermedias o mediocorticales, sus corpúsculos renales están en la región media de la corteza

Los conductos colectores van a comenzar en la corteza de la confluencia de los túbulos conectores y cuando estos alcanzan la médula se conocen como conductos colectores medulares ya sean internos o externos, los cuales siguen con un trayecto en el cual llegan al vértice de la pirámide en donde se vuelven conductos papilares Ahora se hablará sobre el corpúsculo renal, este contiene al aparato de filtración del riñón, el cual se compone de

endotelio glomerular, este es esférico y tiene capilares glomerulares, capas epiteliales visceral y parietal. Con respecto al aparato de filtración, es una barrera en la cual hay dos capas celulares discontinuas, el endotelio de los capilares glomerulares y la capa visceral de la cápsula renal y están a cada lado de la membrana basal glomerular

La membrana basal glomerular va a actuar como barrera física y filtro iónico que es selectivo, la lámina rara externa por medio del heparán-sulfato que es el que va a impedir que haya paso de moléculas negativas La lámina rara interna está a la par del endotelio capilar y por último, la lámina densa que tiene colágeno IV y organiza una red que actúa como un filtro físico.

Apuntes:

- Los tubos responden a hormonas la antidiuréticas

- Pericito acá se llama podocito, este sirve para que se estructure el capilar en el momento del filtrado

- Células mesangiales adentro y afuera son lasis

- Mesangio: la mácula densa es parte de un brazo del tubo contorneado distal que responde a sodio y a cloro

- Acuaporinas son proteínas que ayuda al transporte del agua

Uréter, vejiga y uretra

Todos los conductos de excreción de la orina tiene la misma organización estructural, EXCEPTO LA URETRA

- Mucosa: revestida por epitelio de transición, las células presentan tres capas, una superficial que tiene células poliédricas grandes y multinucleadas, la capa intermedia que tiene células piriformes y en forma de cúpula y la capa celular basal que son células pequeñas con un solo núcleo en la membrana basal,

- Muscular y adventicia

La superficie luminal del epitelio de transición está compuesta por placas uroteliales que tiene uroplaquinas proteínicas que ayudan en la barrera de permeabilidad

Uréteres

NOTA: El epitelio de transición tapiza los cálices, los uréteres, la vejiga y el segmento inicial de la uretra

Uretra

1 ¿Qué aprendí?

- Aprendí la composición histológica del riñon y sus partes

2. ¿Qué fue lo más difícil?

- Identificar histológicamente las figuras imaginarias que se forman en los órganos

3 ¿Qué dudas tengo de lo que aprendí?

- Ninguna duda, la clase fue bien explicada

4. ¿Qué me falta por aprender acerca del tema y cómo lo puedo hacer?

Vejiga

- Me falta agarrar práctica en distinguir las imágenes histológicas e identificar a que órgano pertenece.

Glosario

1. Acuaporinas: constituyen una familia de pequeñas proteínas transmembrana hidrófobas recién reconocidas que median el transporte de agua en el riñón

2 Asa de Henle: tiene la forma de una U y se compone de un brazo descendente, una porción curva y un brazo ascendente.

3. Cápsula renal: membrana transparente, fibrosa y continúa con la capa externa del uréter, está cubierto de una gruesa capa de tejido adiposo perinefrítico

4. Columnas de Bertini:proyecciones que salen de la corteza hacia la médula

5. Glomérulo: una pequeña red de tubos capilares

6. Hilio: incisura vertical profunda que permite la entrada y salida de vasos y nervios renales

7. Lóbulo renal: parte del riñón formado por una pirámide renal en forma de cono y la corteza renal situada sobre ella

8. Mácula densa; especialización celular alargada formada por algunas células de la porción gruesa del Asa ascendente de Henle y del Túbulo contorneado distal de la nefrona en el riñón

9. Nefrona: unidad estructural y funcional del riñón

10 Pedículo: evaginaciones secundarias alrededor de los capilares

11. Pelvis renal: lámina propia rica en fibras elásticas rodeada por un músculo liso de orientación variable

12.Pirámides medulares o de Malpighi: unidades de forma cónica con la base dirigida hacia la corteza y el ápice hacia el hilio

13.Polo vascular:por donde entran y salen la arteria aferente y eferente

14.Rayos medulares de Ferrein: s estriaciones verticales que parecen emanar desde la médula

15.Seno renal: es una extensión del hilio mas profunda en el riñón llena de grasa

Sistema reproductor femenino

Sistem reproductor femenin

Tarea

¿Cómo me cuido como mujer?

- Me hago autoexamen de mamas para descartar alguna masa o cuerpo extraño, cualquier cambio anormal que vea en mi periodo menstrual lo consulto el ginecólogo.

En clase se vió que el sistema reproductor femenino es muy complejo, este se divide en órganos internos en donde se encuentran los ovarios, las trompas de falopio, el útero y la vagina, también hay órganos externos, los cuales son los labios mayores y menores, el clítoris, monte

Trompa d falopi

https://drive google com/file/d/1SH1W1Wh9ahxbGYa1SLroT0ItIJxuDwpf/view?usp=sharing

Placent

Cuell

Úter
menstrua
matr Cicl
uterin

Glándul mamari

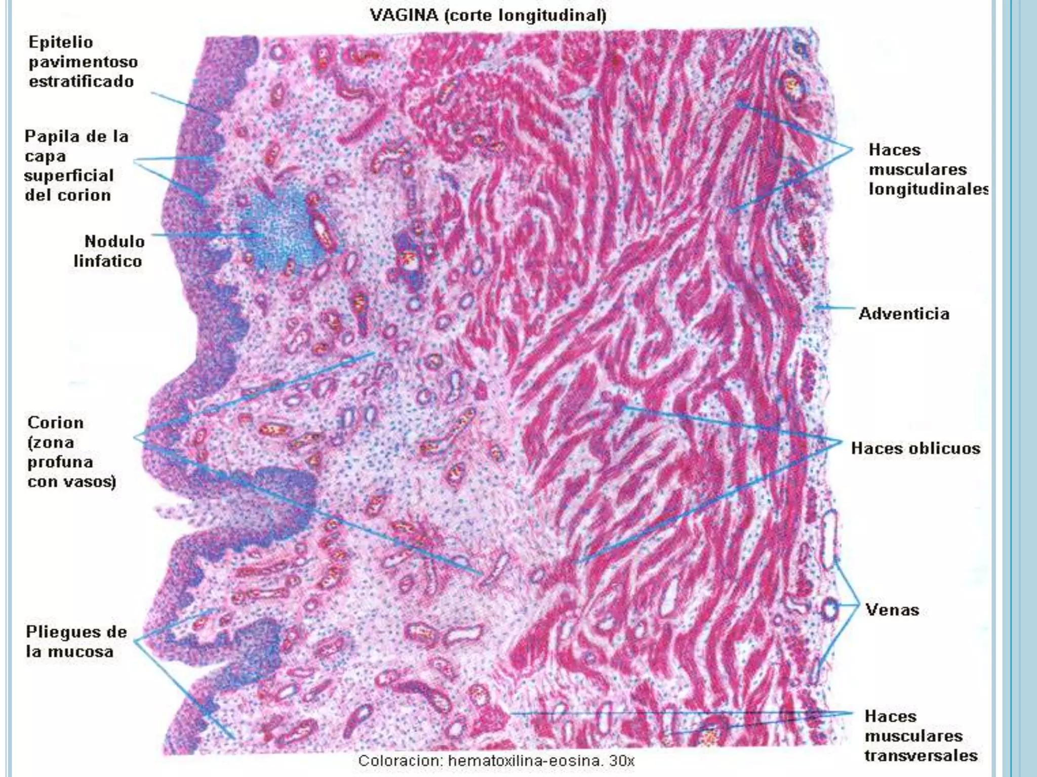
Vagin Vulv

1 ¿Qué aprendí?

- Aprendí la composición histológica de los órganos externos e internos del aparato reproductor femenino

2 ¿Qué fue lo más difícil?

- Identificar histológicamente cada órgano presentado

3. ¿Qué dudas tengo de lo que aprendí?

- Ninguna duda, la clase fue bien explicada

4 ¿Qué me falta por aprender acerca del tema y cómo lo puedo hacer?

- Me falta agarrar práctica en distinguir las imágenes histológicas e identificar a que órgano pertenece y ciertas estructuras que se encuentren.

Glosario

1. Cuerpo de Balbiani: acumulación focalizada de vesículas y membranas de Golgi

2. Folículos ováricos: estructura anatómico-funcional que forma parte del ovario que proporcionan un microambiente para el ovocito en desarrollo

3. Folículo primario: contiene el ovocito y el epitelio folicular

4. Folículo secundario: también llamado preantral, es en el cual varias hileras de células de la granulosa forman el stratum granulosum y segregan una capa glicoproteica que será la zona pelúcida

5. Folículo terciario: también llamado antral, este contiene una cavidad, el antro folicular y el ovocito se encuentra en un lateral, cumulus oophoru

6 Folículo de Graaf: el folículo grande ya listo para la ovulación

7. Himen: es un repliegue de la membrana mucosa que se proyecta dentro de la luz vaginal

8. Labios mayores: son dos pliegues cutáneos longitudinales grandes que se extienden desde el monte del pubis y forman los límites laterales de la hendidura urogenital.

9. Labios menores: son pliegues cutáneos pares, sin vello, que limitan el vestíbulo vaginal

10.Menarca: es el inicio de la menstruación, marca el final de la pubertad y el inicio de la vida reproductiva.

11. Monte de Venus: es una prominencia redondeada de tejido graso que cubre el hueso púbico Durante la pubertad se recubre de vello

12.Ovocito: célula que irá madurando en una parte microscópica de la pared interna de un folículo a lo largo del ciclo ovárico espontáneo o estimulado en condiciones normales

13 Vellosidades coriónicas primarias: son formadas por la rápida proliferación del citotrofoblasto

14.Vellosidades coriónicas secundarias: cubren toda la superficie del saco corionico, están compuestas por un centro de mesénquima que está rodeado por una capa interna de citotrofoblasto y una capa externa de sincitiotrofoblasto

15.Vellosidades coriónicas terciarias: se forman hacia el final de la tercera semana cuando en las vellosidades secundarias aparecen vasos sanguíneos

Turn static files into dynamic content formats.

Create a flipbook
Issuu converts static files into: digital portfolios, online yearbooks, online catalogs, digital photo albums and more. Sign up and create your flipbook.