Bitácora módulo II, patología I

Page 1

Universidad Mariano Gálvez de Guatemala

Facultad de ciencias médicas y de la salud

Quinto semestre, Patología I

Catedrática: Dra. Dora Bonilla

200-22-9727 M Ó D U L O I I
BITÁCORA Melanie Barrios

Trastornosgenéticos

Molecular: afectan las bases delADN

Cromosómico: afecta a un segmento de cromosoma, es decir, su estructura Estas son:

Mutaciones estructurales Mutaciones numéricas

Deleción: (eliminación) es la disminución del número de genes

Duplicación: incremento en el número de genes

Inversión: cambio de orientación en los genes

Translocación: intercambio de genes entre cromosomas no homólogos

Haploidía: disminución del número de juegos cromosómicos

Poliploidía: aumento del número de juegos cromosómicos

Aneuploidía: pérdida o ganancia de uno o varios cromosomas

Genómico: afecta al conjunto del genoma, ya sea aumentando el número de juegos cromosómicos o reduciéndolo

Trastornos mendelianos

Se originan en los padres de una persona y se van a transmitirporla línea germinal a través de las generaciones, la causa mendeliana es cuando la alteración afecta al contenido o mensaje de los cromosomas, o sea, a sus genes o recetas. Para estos trastornos es importante conocerlas leyes de Mendel.

La primera ley de Mendel es la ley de la uniformidad, esta nos dice que si se cruzan dos razas puras para un determinado carácter, los descendientes de la primera generación son todos iguales entre sí e iguales a un progenitor. La segunda ley de Mendel es la de segregación, esta nos indica que los caracteres recesivos, al cruzardos razas puras, quedan ocultos en la primera generación, reaparecen en la segunda generación La tercera Ley es la de la independencia de caracteres, esta nos dice que los caracteres son independientes y se combinan al azar.

TAD yTAR

Trastorno autosómico dominante (TAD), las mutaciones de novo del ovulo o el espermatozoide, los afectados suelen tenerpadres sanos y hermanos sanos. Se manifiestan en el heterocigoto. Ejemplos: enf enfermedad de Huntington,Von willebrand, poliquistosis renal, síndrome de Marfan

Los trastornos autosómicos recesivos (TAR) solo aparecen cuando los dos alelos del locus de determinado gen son mutantes, es frecuente la penetrancia completa Ejemplos: Fibrosis quística, homocistinuria, talasemias, etc.

También hay trastornos ligados a X , la mayoría son recesivos, estos se asocian al cromosomaYdel hombre yX de la mujer Si la madre es portadora y el padre afectado ligado a xy se tiene una niña, saldrá un gen afectado, si es un niño no tiene gen afectado, ya que la madre pone el gen x que está normal y el padre pone el y, ninguno de estos están mutados. Ejemplos: hemofiliasAy b, diabetes insípida, sx de x frágil

Patologías

Trastornos asociados a defectos en las proteínas estructurales

Síndrome de Marfan oAranodactilia

Es un trastorno genético autosómico dominante, en el cual hay un defecto del tejido conectivo, más específico en las fibras elásticas, que origina individuos altos y delgados, con huesos quebradizos, hay cambios en el esqueleto, los ojos y el aparato cardiovascular

Gen: 15q21 1

Síndrome de Ehlers-Danlos (SED)

Es un trastorno con alteración genética de la estructura y síntesis del colágeno y del tejido conectivo, acá las fibras de colágeno anormales no tienen una fuerza tensil adecuada, la piel es hiperextensible y las articulaciones son hipermóviles

Trastornos asociados a defectos en las proteínas

Hipercolesterolemia familiar

Es autosómica dominante, acá el paciente presenta niveles altos de colesterol, hay un defecto genético que impide que el colesterol LDL sea degradado, lo que puede ocasionardisfunción endotelial. Las personas con este trastorno desarrollan ateromas lo que los lleva a padecerde cardiopatías En la heterocigota hay CT↑ 2 a 3 veces el valornormal LDL240mg/dl y en la homocigota hay ausencia de receptores LDLy CT600 a 1000mg/dl. HDL debajo de la media.

Trastornos asociados a defectos de enzimas

Tay Sachs (gangliosidosis G M2: deficiencia de la subunidad de la hexosaminidasa)

Es un trastorno cromosómico hereditario, debido a una mutación en el locus de la subunidadAlpha en el cromosoma 15 que va a produciruna deficiencia grave de la hexosaminidasaA Se desarrolla cuando se acumula grasa en el cerebro, evitando que las células nerviosas funcionen adecuadamente, esto impide la movilidad, la pasibilidad de expresarse, la comunicación, e incluso las funciones básicas

Síntomas y signos:

Retraso en el desarrollo

Mancha rojo-cereza en el ojo

Hipotonía

Espasticidad

Macrocefalia

Epilepsia

Irritabilidad del ruido

Enfermedad de Niemann-Pick, tiposAy B

Hay una acumulación en los lisosomas de esfingomielina poruna deficiencia hereditaria de esfingomielinasa

TipoA: se da en los lactantes, importantes acumulaciones viscerales de esfingomielina y atrofia progresiva con muerte precoz en los 3 primeros años de vida.

Es la forma aguda

Hepatoelenomegalia

Ictericia

Retraso mental

Disfagia y trastorno de deglución

Tipo B: hay organomegalia, no se afecta el sistema nervioso central y estos enfermos llegan a adultos

Hepatoesplenomegalia

Trombocitopenia

Ictericia

Nódulos linfáticos agrandados

Osteoporosis

Mancha macularrojo cereza

Las células afectadas acumulan colesterol además de los gangliósidos G M1 y G M2.

Enfermedad de Gaucher

Es un desorden multisistémico que resulta de mutaciones autosómicas recesivas en el gen codificadorde la enzima glucocerebrosidasa(GBA) localizado en el cromosoma 1q21, hay una deficiencia de esta que origina un depósito de un glucocerebrosidasa, la glucosilceramida, en el sistema reticuloendotelial.

Mucopolisacáridos

Son un grupo de enfermedades causadas pordeficiencia de las enzimas lisosomales encargadas del catabolismo de glucosaminoglicanos.

Rasgos toscos

Hepatomegalia

Esplenomegalia

Hernias bilaterales

Otitis de recepción

Hipoacusia

dolicocefalia, sinostosis de la sutura sagital y silla turca alargada

Cuello corto con hipoplasia del odontoides

Alcaptonuria

También llamado ocronosis, es un trastorno autosómico recesivo en el cual falta la oxidasa del homogentísico, hay depósitos del pigmento en los cartílagos articulares de las articulaciones, debido a eso que el cartílago pierda su resistencia normal y se vuelva frágil y fibrilar

Trastornos citogenéticos que afectan a los autosomas

Síndrome de Down

Es un trastorno genético causado porla presencia de una copia extra del cromosoma 21, trisomía 21.

Retraso mental

Perfil facial plano

Hendidura palpebral

Epicanto

Cardiopatías congénitas

Alteración inmunológica

Pliegue simiano

Estatura baja

Disfunción tiroidea

Cardiopatías

Desórdenes gastrointestinales

Obesidad, Leucemia, Pérdida de memoria,Alteraciones auditivas

También llamado trisomía 18

Occipucio prominenteMicrognatia

Rejas de implantación baja Superposición de dedos Cuello corto Cardiopatía congénitaMalformaciones renales

Pies en mecedora (calcáneo desarrollado)

Polidactilia

Enoftalmos Macroftalmia

Microcefalia y retraso mental Hernia umbilical Malformaciones renales Labio leporino

Síndrome de Edwards Síndrome de Patau

Trastornos citogenéticos que afectan a los cromosomas sexuales

Síndrome de Klinefelter

Piernas largas

Testículos pequeños y atróficos

Pene pequeño

Monosomía X es una enfermedad genética caracterizada porla presencia de un solo cromosoma X.

Hipotiroidismo

Tórax ancho

Infertilidad

Abundantes lunares

Orejas de implantación baja

Talla baja

Problemas cardíacos

Enfermedades Causadas por Mutaciones en Secuencias Repetidas de Trinucleótidos

Síndrome del X frágil

Se da poruna discontinuidad de la tinción o una constricción en el brazo largo del cromosoma X

Cara alargada y estrecha Orejas grandes y salidas Mandíbula inferiorprominenteDeficiencias visuales Deficiencias auditivas

Impronta Genómica En Humanos

Síndrome de Prader-Willi

Retraso mental

Talla baja

Hipotonía

Hiperfagia

Ob id d

Retraso mental Ataxia Convulsiones

Risa inapropiada

Síndrome deAngelman

Actividades realizadas

En esta actividad se realizó un árbol genealógico con la pareja asignada, en este casi realizamos un familiograma personal con nuestros antepasados y las enfermedades que hay en nuestra línea genética, luego se realizó otro familiograma con la pareja y se juntaron las enfermedades procedentes de las dos líneas genéticas y se vio la probabilidad de que nuestros hijos padecieran alguna de esas enfermedades

Familiograma personal

g Obesidad Manos y pies pequeños e hipogonadismo

Familiograma con pareja

También se realizaron cortos en dupla: https://docs.google.com/document/d/1k21GoCYzNuN RL9thdznW5uRV94ee29sqx6r to9TN0/edit? usp=sharing

Autoevaluación

1 ¿Qué aprendí hoy?

Aprendí los tipos de trastornos que son genéticos, cuales son recesivos o dominantes, también que trastorno genético no es lo mismo que trastorno congénito, ya que este último es una alteración con la que se nace, no se hereda.

2. ¿Qué me gustó más y porqué?

Conocerlos distintos tipos de trastornos genéticos y cual es el gen alterado

3 ¿Qué fue lo más difícil?

Diferenciartodos los síntomas de las patologías, ya que se pueden confundir

4. ¿Qué dudas tengo de lo que aprendí? No tengo ninguna duda

5 ¿Qué me falta poraprenderdel tema y cómo lo puedo hacer?

1. Causa mitocondrial: No toda la herencia, ni todas las recetas, se encuentran en los cromosomas o ADN del núcleo, si no que en las mitocondrias

2. Causa multifactorial: cuándo la enfermedad o defecto es el resultado de la acción conjunta de varios genes, más la interacción de éstos con los factores exógenos o ambientales.

3 Centro de impronta: región delADN que controla la impronta de una región cromosómica

4. Codominancia: cuando los dos alelos de un parde genes se expresan porcompleto en el heterocigoto

5. Enfermedad genética dominante: enfermedad genética en la que con una sola copia afectada del gen se manifiesta la enfermedad

6. Enfermedad genética recesiva: enfermedad genética en la que se necesitan dos copias afectadas del gen para padecerla enfermedad

7 Enfermedad ligada al sexo: enfermedad que se trasmite en los cromosomas sexuales; suele ser más frecuente que se trasmita en el cromosoma X

8 Enfermedad monogénica: enfermedad genética debida a la alteración de un solo gen

9 Enfermedad poligénica o multigénica: enfermedad genética debida a la alteración de diversos genes

10. Fenotipo: expresión de los genes a cambios en el ambiente, no son heredables, son las características que se observan

11 Genotipo: conjunto de genes que posee un individuo, es el que recibe de los progenitores

12. Ingeniería genética: técnica para eliminargenes propios y para insertargenes externos

13 Modificación epigenética: alteración reversible de la cromatina que afecta a la expresión de un gen pero no a su secuencia deADN

14. Mosaicismo Gonadal: se debe a una mutación que tiene lugardurante el desarrollo embrionario precoz, superada la fase del cigoto

15. Mutación: es una alteración permanente delADN

16. Penetrancia: es la capacidad del gen mutante de expresarse fenotípicamente, esta se expresa en términos matemáticos

falta comprendermejorla etiopatogenia de ciertos síndromes
Glosario Me

Sistemainmune

Enfermedades

Hipersensibilidad

Es una respuesta sobre exagerada hacía una exposición repetida al mismo antígeno desencadena una reacción patológica.

Tipo I: detecta la presencia de un alérgeno y los IgE son secretados porcélulas

plasmáticas

Inmediata

Hay liberación de citocinas

Actúan los mastocitos

Alergias, hay eosinófilos

Da vasodilatación, espasmo y una infiltración celular

Ejemplo de enfermedades: asma, anafilaxia sistémica (Se caracteriza porshock vascular, edema generalizado y dificultad respiratoria), picadura de insectos

Tipo II: está mediada poranticuerpos

Hay producción de IgG y de IgM

Fagocitosis y lisis de células

Neutrófilos y NK

Respuesta inflamatoria

Ejemplo de enfermedades: anemia hemolítica, enfermedad de Graves, miastenia grave

Tipo III: complejo antígeno-anticuerpo-inmunocomplejo

Mediado poranticuerpos

C3Ay C5A

Neutrófilos y mastocitos

Depósitos al endotelio, activa al complemento

Respuesta inflamatoria y lesión tisular

Depósitos fibrinoides

Ejemplo de enfermedades: lupus, artritis, glomerulonefritis

Tipo IV: Retardada

Inicia porLinfocitosT

Neutrófilos y macrófagos

Granulomas

patrón de respuesta principal frente a Mycobacterium tuberculosis, hongos, protozoos y parásitos

Ejemplo de enfermedades: dermatitis atópica diabetes tipo , tiroiditis, tuberculosis

En las enfermedades autoinmunes hay tres requisitos antes de considerarque un trastorno se debe verdaderamente a autoinmunidad, los cuales son:

Presencia de una reacción inmunitaria específica para algún antígeno o tejido propio

Datos de que dicha reacción no es secundaria a la lesión tisular, sino que tiene un significado patogénico primario

Ausencia de otra causa bien definida de la enfermedad

Lupus eritematoso sistémico (LES)

Tiene un inicio agudo o insidioso, de evolución crónica, con remisiones y recaídas, con frecuencia febril. Se caracteriza porporlesión de la piel, las articulaciones, el riñón y las membranas serosas

Riñones: nefritis lúpica, en fases crónicas, los vasos experimentan engrosamiento fibroso con estenosis luminal

Piel: eritema malaren forma de mariposa, puede presentarurticaria, ampollas, lesiones maculopapulares y ulceraciones

SNC las afectaciones se deben a la vasculitis aguda Pericarditis

Síntomas: fiebre persistente, disnea, insuficiencia cardíaca, nefritis, inflamación de articulaciones

Tipos de lupus eritematoso sistémico

Lupus eritematoso discoide (LED): son erupciones en forma de disco que se presentan en el área facial, como en la frente y las mejillas, son rojas y escamosas y no dan prurito Lupus eritematoso inducido porfármacos: como hidralacina, procainamida, isoniacida y d – penicilamina.

Artritis reumatoide

Afecta a las articulaciones, pero también la piel, vasos sanguíneos, pulmones y corazón. Puede serpoliartritis o solo en ciertas articulaciones estén afectadas.

Síndrome de Sjögren

Se caracteriza porqueratoconjuntivitis seca yxerostomía debidas a la infiltración linfocítica y la fibrosis de las glándulas lagrimales y salivales.

Otros síntomas: gastritis, dolorarticular, sequedad vaginal, disfagia, daños a nivel pulmonary bronquial, pericarditis y erupciones en la piel

Esclerosis sistémica (esclerodermia)

Se caracteriza porinflamación crónica, una lesión generalizada de vasos sanguíneos pequeños, fibrosis intersticial y perivascularprogresiva en la piel y en múltiples órganos

Síndrome de CREST:

Calcinosis

Fenómeno de Raynaud (espasmo vascularen respuesta al frío o al estrés)

Disfunción esofágica (reflujo de ácido y disminución en la motilidad del estómago)

Esclerodactilia

Telangiectasia

Histológicamente, hay edema e infiltrados perivasculares que contienen linfocitosTCD4+, hay tumefacción y degeneración de las fibras de colágeno, que se hacen eosinófilos

Miopatías inflamatorias

Se caracterizan porlesión e inflamación de los músculos esqueléticos, hay3 distintos trastornos: dermatomiositis, polimiositis y miositis

Enfermedad mixta delTC

Sus manifestaciones clínicas son una mezcla de las características del LES, la esclerosis sistémica y la polimiositis, hay niveles elevados de anticuerpos ribonucleoproteína U1

Poliarteritis nudosa y otras vasculitis

Hay una inflamación necrosante de las paredes de los vasos sanguíneos y en las que hay datos sólidos a favorde un mecanismo patogénico inmunitario.

Rechazo de los trasplantes de órganos

Reacciones mediadas porlinfocitosTEl rechazo del injerto mediado porlos linfocitosTse denomina rechazo celulary supone la destrucción de las células del injerto porLTC CD8+

Tipos de rechazo

Hiperagudo: cuando se produzca es debido a : -LTCD4, LTCD8 yAloAcs. Hay hemorragia y oclusión trombótica de la circulación del injerto, se produce minutos u horas después

Agudo: ocurre una semana después del trasplante, está mediado porporcélulasT, macrófagos yAcs

Crónico: lleva de 6-12 meses y hay fibrosis con pérdida de las estructuras normales de los órganos

Inmunodeficiencias primarias

Síndrome de DiGeorge

Es una deficiencia de linfocitosTque se debe a la ausencia de desarrollo de la tercera y la cuarta bolsas faríngeas

Síndrome deWiskott-Aldrich

Enfermedad recesiva ligada a X que se caracteriza portrombocitopenia, edema y una marcada vulnerabilidad a infecciones de repetición, que lleva a la muerte precoz.

Inmunodeficiencias secundarias SIDA

Es producida porel retrovirus llamado virus de inmunodeficiencia humana (VIH) y se caracteriza poruna profunda inmunodepresión que da lugara infecciones oportunistas, neoplasias secundarias y manifestaciones neurológicas El sida está producido porelVIH

Actividades realizadas:

En dupla se realizaron dos cortos y una actividad describiendo los tipos de hipersensibilidad.

https://docs.google.com/document/d/13NzE4K9LzakOQ7Ht2xxKA7gVYvsKwFCDklA3XuBhgN c/edit?usp=sharing

Autoevaluación

1 ¿Qué aprendí hoy?

Aprendí los tipos de hipersensibilidad, que factores intervienen, que enfermedades entran en cada hipersensibilidad y que inmunoglobulinas están asociadas.

2. ¿Qué me gustó más y porqué?

Conocermás sobre las enfermedades y trastornos autoinmunes

3 ¿Qué fue lo más difícil?

Diferenciar todos los síntomas de los síndromes, ya que ay síndromes que en las imágenes se ven parecidos como lo es esclerodermia y enfermedad mixta delTC

4. ¿Qué dudas tengo de lo que aprendí?

No tengo ninguna duda

5 ¿Qué me falta poraprenderdel tema y cómo lo puedo hacer?

Me falta comprendermejorla etiopatogenia de ciertos síndromes

Glosario

1. Amiloidosis: grupo de enfermedades raras y de causa desconocida, que se caracterizan porel depósito de sustancia amorfa (amiloide), en los espacios extracelulares de diversos órganos y tejidos

2 Arteritis: se caracteriza pordepósitos fibrinoides en las paredes vasculares

3. Células dendríticas: son las células presentadoras de antígenos (CPA) más importantes para iniciarlas principales respuestas de los linfocitosTfrente a los antígenos proteicos.

4 Enfermedad autoinmune: Estado en el cual el individuo es incapaz de desarrollaruna respuesta inmunitaria ante un ag específico

5. Generación de linfocitosTcitotóxicos CD8: patrón de respuesta frente a muchas infecciones víricas y células tumorales

6 Inmunidad celular: mediada porlinfocitosT(derivados del timo) Activación de los linfocitosTy eliminación de microorganismos intracelulares

7. Inmunidad humoral: mediada porlinfocitos B (derivados de la médula ósea) y sus productos secretados, los anticuerpos

8 Inmunidad innata: es la inmunidad con la que se nace

9 Linfocitos B: reconocen los antígenos mediante el complejo del receptorantigénico de los linfocitos B.

10. Linfocitos NK: destruyen diversas células infectadas y tumorales, sin exposición previa ni activación porestos microorganismos o tumores

11 Macrófagos: actúan como CPAen la activación de los linfocitosT Los macrófagos son células efectoras fundamentales en algunas formas de inmunidad celular

12. Órganos linfáticos periféricos: incluyen los ganglios linfáticos, el bazo y los tejidos linfoides mucosos y cutáneos.

13. Reacción deArthus: es una zona localizada de necrosis tisulardebida a una vasculitis aguda por inmunocomplejos y que en general afecta a la piel:

14 Sarcoma de Kaposi: es un cáncerque produce parches de tejido anormal debajo de la piel

15. VIH: retrovirus humano no transformante que pertenece a la familia de los lentivirus.

Neoplasias

Neoplasia

Tumores mixtos

Tienen características de ambos tipos de tumores (benignos y malignos) Origen monoclonal

Teratoma

Contiene células o tejidos maduros o inmaduros representativos de más de una capa celulargerminal

Cambi g p

Pleomorfismo

Morfología nuclearanormal ADN abundante

Forma nuclearvariable

Agrupada en grumos Mitosis

Pérdida de polaridad

Orientación de células alteradas

Crecen de forma anárquica y desorganizada

Células gigantes anormales

Estroma vascularescaso

Cáncerde mama

Se originan en los cuadrantes superiores externos

Se diseminan primero a los ganglios linfáticos axilares

Predisposición Genética

Cánceres heredados en forma autosómica dominante:

Retinoblastoma

Poliposis adenomatosa familiar Síndrome autosómicos recesivos de reparación del DNAdefectuoso

Xerodermia Pigmentoso

Anemia de Fanconi

Cánceres familiares

Mama, colon, ovario

Enfermedades Precancerosas

Gastritis atrófica crónica

Queratosis solarde la piel

Colitis ulcerosa crónica

Leucoplasia de la cavidad oral

¿Cómo se forma un tumor?

Un tumorse forma porla expansión clonarde una única célula precursora que a sufrido daño genético, son monoclonales

Nota: Se requieren dos mutaciones que afectan ambos alelos de RB en el locus cromosómico 13q14 para producirun retinoblastoma

Alteraciones esenciales para laTransformación Maligna

1. Autosuficencia en las señales de crecimiento

2 Insensibilidad a las señales inhibitorias del crecimiento

3 Evasión de la apoptosis

4. Potencial replicativo ilimitado

5. Angiogenia mantenida

6. Capacidad para invadiry metastatizar

7. Defectos en la reparación delADN

Carcinogenia Microbiana

Helicobacterpylori en el cáncergástrico, la CagApenetra en las células epiteliales gástricas, donde tiene una diversidad de efectos, incluyendo la iniciación de una cascada de señales que imita la estimulación no regulada porfactorde crecimiento.

Cáncerde cérvix

VirusARN oncógenos : causa una forma de leucemia/linfoma de célulasT,Virus de Epstein-Barr

Virus de la hepatitis B y C

Este virus causa de lesión hepatocelular, la infección vírica crónica conduce a la proliferación compensadora de hepatocitos

Aspectos Clínicos de la Neoplasia

La localización y compresión de las estructuras adyacentes Actividad funcional, como síntesis de hormonas o desarrollo de síndromes paraneoplásicos

Hemorragia e infecciones cuando el tumorulcera las superficies adyacentes Síntomas que derivan de rotura o infarto caquexia o consunción

Los síndromes paraneoplásicos neuromiopáticos

Toman diversas formas, como neuropatías periféricas, degeneración cerebelosa cortical, una polimiopatia que recuerda a la polimiositis y un síndrome miastenico similara la

miastenia gravis

Clasificación llamada SistemaTNM

T(tumor) para el tumorprimario

N (node) para la afectación de los ganglios linfáticos regionales

M (metástasis) para las metástasis

Actividades realizadas

En dupla se realizaron cortos sobre el tema de neoplasias, también la Dra realizó una actividad con huevos de pascua, cada dupla escogió un huevo y adentro traía una actividad a realizar

Autoevaluación

1 ¿Qué aprendí hoy?

Aprendí que el cáncer es multifactorial, como se diferencia un tumor benigno de uno maligno y las enfermedades que pueden desarrollarcáncer.

2. ¿Qué me gustó más y porqué?

Conocerlas diferencias entre las neoplasias benignas y malignas

3 ¿Qué fue lo más difícil?

Diferenciarel tipo de tumoren una imagen histológica

4. ¿Qué dudas tengo de lo que aprendí?

No tengo ninguna duda

5 ¿Qué me falta poraprenderdel tema y cómo lo puedo hacer?

Me falta comprendermejortodos los cambios que hay en las células cancerosas

Glosario

1. Adenoma: neoplasia epitelial derivada de glándulas.

2. Anaplasia: la ausencia de diferenciación

3 Caquexia: pérdida progresiva de grasa corporal y de masa corporal magra acompañada de debilidad profunda, anorexia y anemia

4. Células madre del cáncer: tienen una gran capacidad para autorrenovarse, resistir a los tratamientos oncológicos y diferenciarse a otros tipos celulares en el tumor.

5 Cistoadenoma: masas quísticas como en el ovario

6 Cistoadenoma papilar: masa quística con proyección digitiforme

7 Diferenciación: es el grado en el que las células parenquimatosas neoplásicas se asemejan a las células parenquimatosas normales correspondientes

8. Displasia: crecimiento desordenado

9 Evasión de la apoptosis: los tumores pueden ser resistentes a la muerte celular programada como consecuencia de la inactivación de p53 o de la activación de genes antiapoptóticos

10 Genes reguladores: regulan la apoptosis

11. Lipoma: masa subcutánea portejido adiposo.

12 Metaplasia: es la sustitución de un tipo de célula porotro tipo

13. Metàstasis: sin continuidad con el tumorprimario.

14. Neoplasia: masa anormal de tejido cuyo crecimiento excede y está descoordinado con el de los tejidos normales

15 Oncogenes: los genes que promueven el crecimiento celularautónomo en las células cancerosas

16 Papiloma: neoplasia con proyecciones digitiformes

17. Pleomorfismo: variación en el tamaño y forma de las células y núcleos

18. Pólipo: Proyección sobre superficie mucosa.

Actividades realizadas en laboratorio

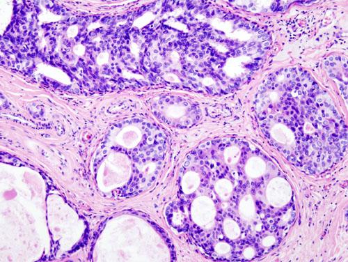
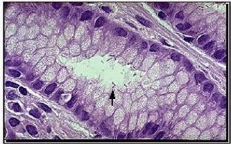
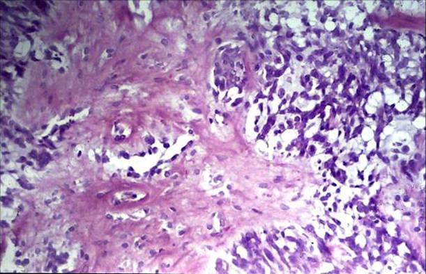
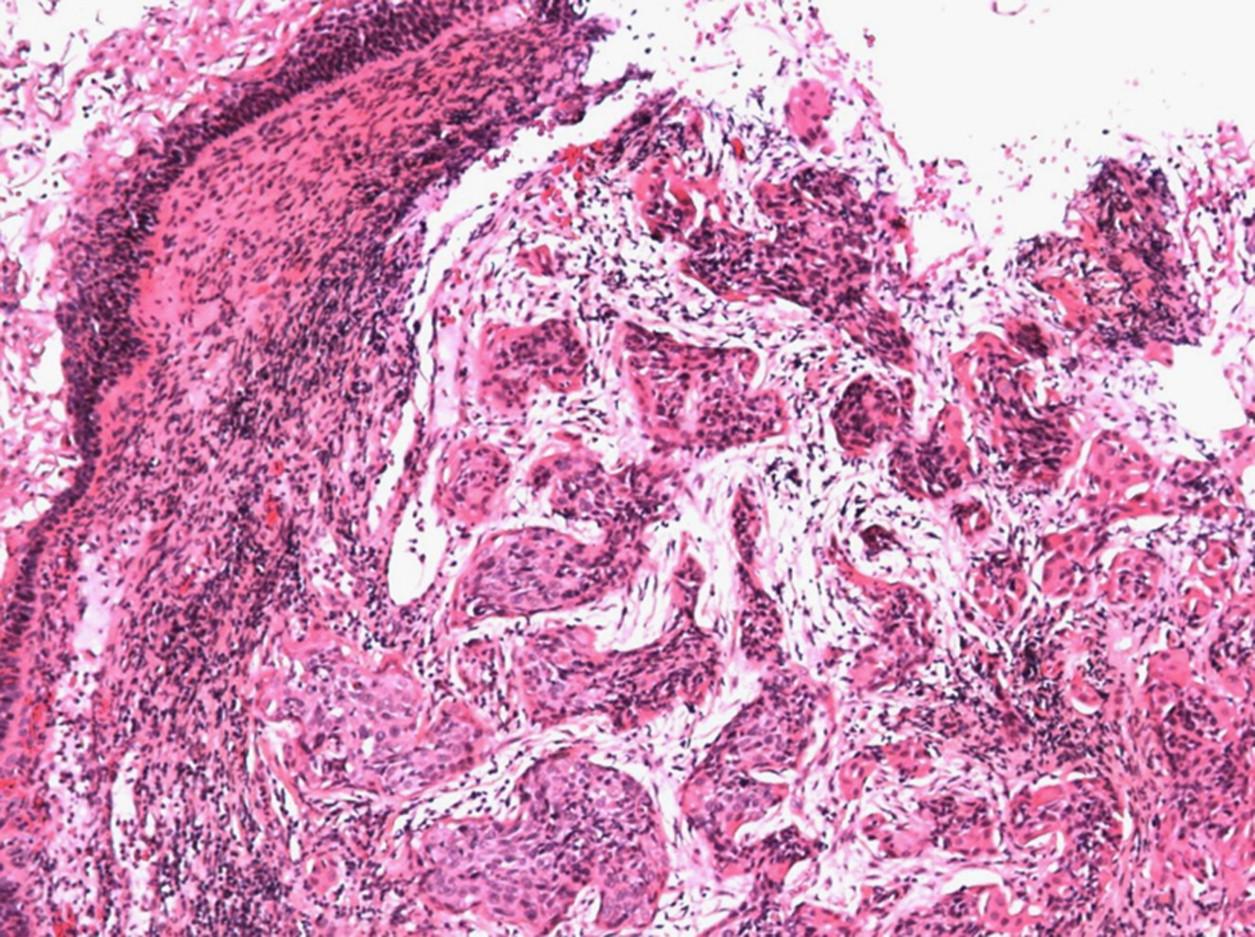
En el laboratorio se observaron muestras patológicas como lo fue una glándula mamaria con cáncer, se fueron realizando hojas de trabajo.También la Dra nos realizó una prueba diagnóstica sorpresa sobre el tema de cáncer Se discutieron casos clínicos sobre el tema de Neoplasias.

Turn static files into dynamic content formats.

Create a flipbook
Issuu converts static files into: digital portfolios, online yearbooks, online catalogs, digital photo albums and more. Sign up and create your flipbook.
Bitácora módulo II, patología I by melaniebarrios200229727 - Issuu