

MIODESOPSIE, LE OMBRE FASTIDIOSE SULLA VISTA
Centro Congressi Grand Tour Italia 23-24


Tel. 0141 1706694 – info@fgeditore.it




Redazione
Timothy Norris
Laura Gaspari, MA redazione@eyeseenews.it www.eyeseenews.it
Pubblicità info@fgeditore.it tel 01411706694
Direttore responsabile
Ferdinando Fabiano f.fabiano@fgeditore.it
Grafica e impaginazione Cristiano Guenzi
Copertina
Silvia Schiavon
Coordinamento scientifico
Vittorio Picardo, MD
Collaboratori
Angelica Giambelluca
Hanno partecipato a questo numero
Michael Albrecht, MD
Michael Amon, MD, FEBO
Claudio Azzolini, MD
Antonio Di Zazzo, MD
Michele Figus, MD, PhD
Matteo Forlini, MD
Soosan Jacob, MD, MS, FRCS, DNB
Isabel Relimpio-Lopez, MD
J Sebag, MD, FACS, FRCOphth, FARVO
Chirag Shah, MD, MPH
Inder Paul Singh, MD
Paulo Eduardo Stanga, MD
Pavel Stodulka, MD, PhD
Marie-José Tassignon, MD, PhD
Editore
FGE srl – Fabiano Gruppo Editoriale
Redazione: Strada 4 Milano Fiori, Palazzo Q7 20089 Rozzano (MI)
Sede legale: Regione Rivelle, 7 14050 Moasca(AT) Tel 0141/1706694 - Fax 0141/856013
Registrazione presso il Tribunale di Asti n. 1/2020 del 05/02/2020
Copia omaggio
EditorialE
CovEr topiC
MIODESOPSIE, LE OMBRE FASTIDIOSE SULLA VISTA
riflEttori Sull’ESpErto TRA CUORE E SCIENZA
largo ai giovani I PAZIENTI DIMENTICATI
CaSi da inCubo A RISCHIO D’INCENDIO
nEwS approfondimEnti
GLAUCOMA E TRABECOLATO: LA SVOLTA TERAPEUTICA DI LATANOPROST E NETARSUDIL
IL RUOLO CHIAVE DELL’EDUCAZIONE DELLA CATARATTA
OCULISTICA DIGITALE, UNO SGUARDO AL FUTURO
L’OCCHIO SECCO COME PARADIGMA DELL’OFTALMOLOGIA DI GENERE
tECniChE ChirurgiChE
TECNICA SALOON DOOR: QUANDO L’OCCHIO DIVENTA IL FAR WEST
nEwS dallE aziEndE
LE VOCI
CHE CONTANO
Promuovere progressi nel trattamento delle miodesopsie attraverso la prospettiva dei pazienti
di Professoressa
Marie-José Tassignon, Ospedale Universitario di Anversa e Università di Bruxelles, Belgio – Presidente dell’International Ophthalmic Floater Society (IOFS)
C
Il dibattito sulle miodesopsie, se trattarle o meno, riguarda principalmente il modo in cui i pazienti convivono con esse nella loro quotidianità e le soluzioni a riguardo attualmente a nostra disposizione. Sebbene io sia più conosciuta come chirurgo della cataratta, ho iniziato la mia carriera come chirurgo vitreoretinico, e da molti anni sono coinvolta nello studio e nel trattamento delle miodesopsie. Ho eseguito un buon numero di vitrectomie, anche in casi inerenti le miodesopsie, e ho iniziato a usare il laser YAG per trattarle già negli anni '90. Ciò che mi interessava di più era comprendere meglio le lamentele dei pazienti, in particolare dei giovani uomini, riguardo alle miodesopsie. Sono sempre stata molto sensibile a questo tema, e solo negli ultimi dieci anni ho iniziato a comprenderne appieno le cause, grazie alle nuove tecnologie, in particolare con l’avvento dell’OCT. Credo sia importante sottolineare e discutere questo aspetto. Ma partiamo dall'inizio: oggi abbiamo finalmente una classificazione molto valida delle miodesopsie, evidente e ampiamente accettata. Questa classificazione ci aiuta a capire quali miodesopsie possiamo curare, quali è meglio lasciare stare, e quali non possiamo ancora trattare. Per esempio, sappiamo che il distacco posteriore del vitreo (PVD) e gli anelli di Weiss sono buone condizioni per la vitreolisi con laser YAG. Altri buoni candidati sono le miodesopsie ben sospese, in cui si possono vedere chiaramente i filamenti vitreali su cui si agganciano. I casi meno ideali sono invece quelli con miodesopsie disperse Tutte le interviste contenute in questo numero sono consultabili collegandosi al sito: www.eyeseenews.it
nel corpo vitreo, molto piccole, o troppo mobili, il che le rende difficili da colpire con precisione con il laser YAG. Questi non sono considerati buoni candidati per il trattamento.
Tuttavia, parlare con i pazienti e aiutarli a capire cosa sta succedendo è molto importante. La maggior parte di loro comprende meglio la propria situazione quando l’oftalmologo è in grado di rispondere correttamente alle loro lamentele, spiegando loro dove sono localizzate le miodesopsie e come si evolveranno nel tempo. I pazienti possono quindi accettarle meglio e prendere decisioni più consapevoli sulle opzioni di trattamento.
Molte miodesopsie migliorano col tempo, poiché la liquefazione del vitreo aumenta, rendendole più mobili e facendole anche scomparire dall’asse visivo. Se non migliorano, la vitrectomia è una possibilità. Tuttavia, è una decisione da discutere in dettaglio con il paziente.
Oggi esistono test per confermare la classificazione delle miodesopsie. Disponiamo degli ultrasuoni, che ci permettono di valutare la mobilità delle miodesopsie e quindi il grado di liquefazione del vitreo. Più importante ancora, abbiamo l’OCT dell’interfaccia posteriore, che consente di verificare se c’è un PVD completo, se è in corso o se è ancora attaccato. Negli occhi dei giovani adulti, che tendono a soffrire di più di miodesopsie mobili nell’asse visivo, si possono osservare numerosi depositi nel vitreo posteriore. Con l’età, il vitreo diventa più liquefatto e la mobilizzazione di questi depositi aumenta. Il Professor Jan

Worst descrisse magnificamente questa interfaccia posteriore già alla fine degli anni ’80, dandole il nome di borsa premaculare.
È stato osservato che i pazienti che si lamentano maggiormente delle miodesopsie che disturbano la loro visione centrale durante la lettura o le attività di precisione sono per lo più uomini. Infatti, a parità di difetto refrattivo, l’occhio maschile tende a essere più lungo di quello femminile. Ciò significa che il loro vitreo ha un volume significativamente maggiore fin dalla nascita, e quando si liquefa nei trent’anni, possono essere particolarmente infastiditi dal costante movimento di piccole opacità scure, puntiformi o filamentose nel loro campo visivo centrale. Più scure appaiono, più è probabile che siano vicine alla retina.
Con l’avvento dell’OCT è stato possibile per molti ricercatori comprendere meglio le lamentele dei pazienti e trovare una soluzione ai loro problemi. Si tratta di un’evoluzione molto importante nella diagnosi e nelle opzioni di trattamento degli ultimi anni. Tuttavia, c’è ancora strada da fare,
poiché lo sviluppo dell’OCT non è ancora finito. Presto avremo accesso a un imaging OCT dell’intero corpo vitreo, che ci permetterà di visualizzarlo completamente –dallo spazio retro-lenticolare fino alla superficie anteriore della retina. Il campo visivo è definito dalla pupilla, che agisce come una finestra cilindrica. Diluendo la pupilla del paziente, la visualizzazione diventa ancora più efficace e dettagliata.
Ciò significa che potremo iniziare a trattare con altri tipi di laser, come il laser a femtosecondi, che è meno energetico del laser YAG. Potremo pensare a un trattamento volumetrico del vitreo, piuttosto che un trattamento punto per punto delle miodesopsie. Questa è un’evoluzione molto entusiasmante, anche se non siamo ancora arrivati del tutto a quel punto. Tuttavia, credo che siamo molto vicini. Sono convinta che entro i prossimi cinque o dieci anni, avremo fatto progressi significativi nell’aiutare i pazienti gravemente infastiditi dalle miodesopsie. Poiché i pazienti che lamentano miodesopsie esprimono le stesse
lamentele in Belgio, nei Paesi Bassi, in Germania, nel Regno Unito, in Francia (praticamente in tutto il mondo), e diventa evidente che questi sintomi sono reali. Fa parte del nostro compito, come oftalmologi, cercare di comprendere queste lamentele per poter offrire ai nostri pazienti una soluzione. Per quanto riguarda le miodesopsie, ora possiamo visualizzarle e confermare oggettivamente la loro presenza e posizione. Questo rappresenta già un passo avanti: possiamo ora formulare una diagnosi corretta. La prossima sfida è trovare il trattamento giusto. Il problema con tutti i nuovi laser è che dobbiamo anche dimostrare che sono sicuri per la retina, e questo non è semplice. Come sapete, trattare singoli casi è una cosa, ma valutare gli effetti a lungo termine sulla retina è molto più complesso. Tuttavia, con l’aiuto di molti colleghi che collaborano all'interno della International Ophthalmic Floater Society – di cui sono attualmente presidente – sono fiduciosa che continueremo a fare progressi e arriveremo infine a una soluzione significativa.
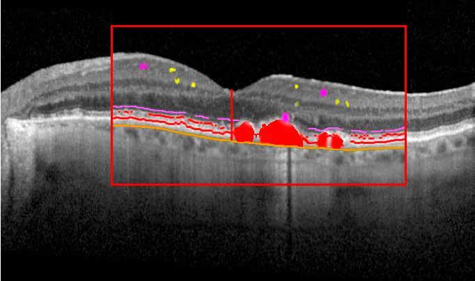
Cover TopiC di Laura Gaspari
MIODESOPSIE, LE OMBRE FASTIDIOSE SULLA VISTA
Dalla valutazione del paziente, alle tecniche diagnostiche e di trattamento: la controversia che sta spaccando il mondo della retina
Intervista al Dottor
CInder Paul Singh, Eye Centers of Racine & Kenosha, Wisconsin e Vice Presidente dell’International Ophthalmic Floater Society; Professor Paulo Eduardo Stanga, Fondatore e Direttore Medico
della Retina Clinic, London Ophthalmic Institute, Londra; Professor J Sebag, VMR Institute for Vitreous and Macula & Doheny Eye Institute della UCLA, Pasadena, California; Dottoressa
Isabel Relimpio Lopez, Hospital Universitario
Virgen Macarena, Siviglia; Dottor
Chirag Shah, Ophthalmic Consultants of Boston, Boston, Massachusetts
Vista dell’opacità vitreale (floaters) attraverso la lente Singh Mid Vitreous durante l’esecuzione della vitreolisi con laser YAG. Per gentile concessione del Dottor Inder Paul Singh.
Capita a molti, spesso all’improvviso: puntini neri, filamenti o ombre che danzano nel campo visivo, soprattutto guardando superfici chiare o luminose. Per gli addetti ai lavori questo fenomeno ha un nome preciso: miodesopsie, mosche volanti (come suggerisce l’etimologia greca del termine), corpi mobili vitreali, o floaters.
Sempre gli addetti ai lavori sanno che le miodesopsie sono una condizione spesso benigna e piuttosto comune, con le stime che ci suggeriscono due terzi degli individui a soffrirne1. Spesso legati all’invecchiamento, sono frequentemente associati all’invecchiamento quando si verifica un distacco del corpo vitreo posteriore (PVD), oppure si presentano 10-15 anni prima nei soggetti più giovani affetti da miopia. Seppur fastidiose per i pazienti, che lamentano di vedere macchie scure, ragnatele e filamenti, nella maggior parte dei casi la migliore soluzione alle miodesopsie è la pazienza: il cervello si adatta in pochi mesi, cancellandole dalla visione.
Per una parte di pazienti, però, non è così semplice. Le miodesopsie diventano insopportabili, impattano pesantemente sulla qualità di vita e impediscono le più banali azioni quotidiane come la lettura

o la guida. Uno studio del 2011 di Wagle et al 2 ha portato alla luce dati interessanti su quello che è il potenziale discomfort dei pazienti con miodesopsie sintomatiche, rilevando che questi, soprattutto i più giovani, sono disposti ad assumere il rischio di rimanere ciechi pur di sbarazzarsene.
La comunità medica oftalmologica ha quindi riconosciuto come le miodesopsie siano per alcuni una condizione che genera stress psicologico, impegnandosi a ricercare le cause, nuove soluzioni e approcci terapeutici. Tuttavia, non c’è ancora veramente un consenso sul quando e come trattare i pazienti con miodesopsie. I più grandi esperti internazionali stanno animando il dibattito, dividendosi tra chi è più conservatore e chi meno, tenendo però il paziente al centro, approfondendo e perfezionando le tecniche diagnostiche e chirurgiche per meglio sciogliere il bandolo di questa matassa.
UNA CONDIZIONE IN AUMENTO
“Mi piace utilizzare il termine opacità vitreali clinicamente significative, CSVO, perché queste sono davvero significative nell’asse visivo e i pazienti realmente soffrono”, afferma il Dottor Inder Paul Singh del Eye Centers of Racine & Kenosha, Wisconsin e Vice Presidente dell’International Ophthalmic Floater Society. Comunque, “la nuova nomenclatura, opacità vitreali (vitreous floaters and opacities - VFO) descrive più accuratamente i sintomi che di solito sono non diagnosticati o sotto-diagnosticati. Questi pazienti sono sempre di più, spesso senza un riscontro clinico evidente”, specifica il Professor Paulo Eduardo Stanga, del Retina



MICURO INTENSIVE Gocce-Gel





AZIONE MIRATA NELLA SINTOMATOLOGIA DELL’OCCHIO SECCO

CON L’ ESCLUSIVO
A base di acido ialuronico allo 0,3% e aloe vera
Antinfiammatorio (aloe vera)
Lubrificante
Riparatore
Idratante
Senza conservanti


Dobbiamo capire e ricordare che le miodesopsie non devono per forza essere visibili all’esaminatore per essere fastidiose per il paziente
Paulo Eduardo Stanga

Clinic di Londra. “Dobbiamo capire e ricordare che le miodesopsie non devono per forza essere visibili all’esaminatore per essere fastidiose per il paziente”.
Sull’aumento dei casi di pazienti con miodesopsie, il Professor J Sebag, del VMR Institute for Vitreous and Macula & Doheny Eye Institute dell’UCLA di Pasadena, California, ha una spiegazione precisa. “Le miodesopsie sono prevalenti a livello mondiale perché c’è un aumento dei casi di miopia, con la stima di 5 miliardi per il 2050”, afferma. “Una delle manifestazioni della miopia consiste nei cambiamenti all’interno del vitreo, la vitreopatia miopica3 Insieme a quelli che soffrono di distacco posteriore del vitreo, questi pazienti sono più portati a soffrire di
miodesopsie gravi”, spiega. Trattare o non trattare le miodesopsie? Un dubbio amletico che però ha un punto centrale fondamentale, secondo il Dottor Singh. “Il nocciolo della controversia è se pensiamo che valga la pena trattare queste miodesopsie o no, prima di tutto”.
LA SFERA PSICOLOGICA
DELLE MIODESOPSIE
“Uno dei punti più segnanti della mia
certo senso la guida verso questo cambiamento. “L’informazione che ci restituisce questo studio, con i pazienti disposti a fare un sacrificio enorme per eliminare le miodesopsie, è interessante e sorprendente”, spiega la Dottoressa Isabel Relimpio Lopez, dell’Hospital Universitario Virgen Macarena di Siviglia. “Sono disposti a mettere a rischio la loro vista molto più dei pazienti con AMD o glaucoma. Per questo dobbiamo



Dottor Inder Paul Singh
Le lenti Essilor® Stellest® rallentano la progressione della miopia del 67%(1)
Le lenti Stellest® sono la soluzione visiva di Essilor® progettata per contrastare la miopia dei tuoi bambini. Rallentano in media del 67%(1) la progressione della miopia rispetto alle lenti monofocali, se indossate 12 ore al giorno
1) Rispetto

140(5), 472-478. https:/doi.org/10.1001/jamaophthalmol.2022.0401. Essilor®
Per supportare i suoi pazienti nel percorso di gestione della progressione miopica, Essilor® ha ampliato il programma di servizi dedicati alle famiglie che hanno già scelto, o sceglieranno, le lenti Essilor® Stellest®
NEW
In caso di danno o furto
3. Secondo paio (chiare o da sole)
5 rinnovi a condizioni agevolate, utilizzabili senza limiti di tempo A condizioni agevolate
Un’iniziativa pensata per garantire continuità, accesso agevolato e supporto costante alle famiglie dei pazienti in progressione miopica.
ulteriori dettagli, contatti il suo



1. Garanzia Stellest®+
2. Piano di rinnovo
alle lenti monofocali, se indossate dai bambini almeno 12 ore al giorno, tutti i giorni. Bao, J., Huang, Y., Li, X., Yang, A., Zhou, F, Wu, J., Wang, C., Li, Y., Lim, E.W., Spiegel, D.P. Drobe, B., Chen, H., 2022. Spectacle Lenses With Aspherical Lenslets for Myopia Control vs Single-Vision Spectacle Lenses: A Randomized Clinical Trial. JAMA Ophthalmol.
e Stellest® sono marchi registrati di Essilor International. Montatura Ray-Ban®
Il nocciolo della controversia è se pensiamo che valga la pena trattare queste miodesopsie o no, prima di tutto
Inder Paul Singh
nell’umor acqueo. La diagnosi può essere una vera sfida, perché è essenziale correlare la diagnostica per immagini e i test funzionali con la gravità dei sintomi”, Stanga osserva. La tecnologia diagnostica e terapeutica ha fatto passi da gigante e molti studi sono usciti negli ultimi anni sull’argomento, andando oltre l’oftalmoscopia indiretta. “Abbiamo speso gli ultimi dodici anni nello sviluppare una metodologia per valutare quantitativamente i pazienti e se la condizione è lieve, moderata o grave”, afferma Sebag. “Abbiamo a disposizione tre diversi test: un questionario autosomministrato per valutare l’impatto sulla qualità della vita dei pazienti; la valutazione con gli ultrasuoni tramite ecografia oculare B-scan5 per vedere il grado di densità all’interno del vitreo; e infine la misura della sensibilità al contrasto, in cui abbiamo osservato che vi è una degradazione media di circa 91% in quei pazienti affetti da miodesopsie”.
“Abbiamo recentemente pubblicato uno studio intitolato Therapeu-

tic refractive vitrectomy for vitreous floaters and opacities6. Terapeutico perché stiamo migliorando la qualità della visione e la sensibilità al contrasto, refrattivo perché andiamo a modificare le caratteristiche di diffusione della luce del vitreo riducendo le aberrazioni di ordine superiore, e vitrectomia perché andiamo a rimuovere le opacità vitreali”, afferma il Professor Stanga.
Il Professor Stanga ha inoltre sottolineato come analizzare le caratteristiche di diffusione della luce del vitreo utilizzando il test SK VFO7 pubblicato e l’OCT ultra-widefield con una finestra di imaging profonda di 12 mm può restituire una valutazione oggettiva di quanto le miodesopsie impattano sulla qualità di vita del paziente. Ciò rappresenta un importante contributo alla valutazione diagnostica di questi pazienti sintomatici, specialmente di quelli con un vitreo che appare limpido alla biomicroscopia. “Ci permette di fare diagnosi accurate perché ci fa vedere tutte le parti del vitreo fino alla periferia, permettendoci di spiegare meglio al paziente la sua situazione e i rischi di un’eventuale chirurgia”, afferma Isabel Relimpio.
La diagnosi accurata serve anche per determinare la differenza tra la presenza di miodesopsie e la percezione del paziente. “Una valutazione accurata mi permette di capire l’entità di queste miodesopsie e quanto impattano sul paziente. A volte l’entità della miodesopsia non coincide con i sintomi accusati. Nei pazienti particolarmente focalizzati sulle loro miodesopsie, solitamente non propongo un trattamento, in quanto non ho la certezza della sua efficacia”, spiega Chirag Shah. “Quando ho conferma che c’è una corrispondenza tra i sintomi soggettivi accusati dal paziente e la valutazione oggettiva delle miodesopsie, allora inizio a discutere con loro sulle op-

zioni di trattamento”.
I TRATTAMENTI DISPONIBILI
Le soluzioni terapeutiche alle miode sopsie attualmente sono la vitreolisi con laser YAG e l’approccio chirurgi co con la vitrectomia refrattiva totale o mirata8. Un approccio o l’altro è determinato da che tipo di miode sopsie si va a trattare, oltre che dalla visione del chirurgo. Un dato di fatto però è che, anche nel trattamento, la tecnologia ha subito sviluppi sostan ziali da tenere in considerazione.
“Ci sono procedure come la vitreolisi YAG, su cui ho una buona esperien za, che sono diventate sempre più sicure”, spiega Singh. per tutti i tipi di opacità e pazienti e ci sono degli elementi da tenere in considerazione anche sul tipo di YAG laser da usare, che deve avere l’illuminazione coassiale per vedere bene la miodesopsia nel vitreo me dio o posteriore”.
Singh ha dimostrato a molti incontri internazionali come l’AAO e l’ASCRS la sicurezza ed efficacia del laser YAG. Essendoci una curva di apprendimento, il consiglio ai colleghi è di iniziare con pazienti pseudofachici e con piccoli anelli di Weiss non troppo vicini alla retina per scongiurare complicanze, evitando quelli con recente distacco posteriore del vitreo o fattori di rischio per difetti retinici, come la degenerazione a lattice o miopie elevate. “Il tipo di miode-

Professor Paulo Eduardo Stanga
Professor J Sebag



MEIBO-NORMALIZZANTE
CON DRY EYE IL PRIMO SUPPORTO PER IL PAZIENTE
Meibum sano, film lacrimale stabile.
UNICO CON DHA
MICROINCAPSULATO


DHA: ripristina il meibum, controlla l’infiammazione.


NAC: favorisce la pervietà dei dotti, secrezione più efficiente.
POLYGONUM: controlla l'infiammazione.
METILCOBALAMINA + TIAMINA: rigenerano l'innervazione corneale.



MICROINCAPSULAZIONE: DHA più biodisponibile, proprietà organolettiche superiori.
Cover TopiC
I trocar sono la chiave, come la microchirurgia con 27 gauge. La vitrectomia pars plana è più facile oggi rispetto a trent’anni fa e i rischi sono completamente differenti
Isabel Relimpio
sopsia e di paziente determinano il tipo di trattamento, come in qualsiasi sottospecialità oftalmologica”, aggiunge Singh. Il laser vaporizza sì l’opacità vitreale, ma in una quantità limitata a ogni impulso. Tuttavia, l’uso di troppi impulsi laser può aumentare la pressione intraoculare. Quindi il laser non è l’opzione migliore per le opacità numerose e diffuse dove un alto numero di impulsi e sedute sono necessarie, ha spiegato Singh. Non tutti i chirurghi usano il laser YAG, specialmente negli Stati Uniti dove non è ancora approvato FDA. “Io non lo uso, ma se il paziente ha un classico anello di Weiss o una miodesopsie discreta idonea alla vitreolisi con laser YAG, lo riferisco a colleghi che invece lo fanno”, spiega Shah. “La vitreolisi YAG ha ancora dati limitati, anche se sembra meno rischiosa della vitrectomia. Tuttavia non va bene per tutti i pazienti o tutti i tipi di miodesopsie”.
Anche quando si parla di vitrectomia, sono diverse le possibilità in campo, senza arrivare a una rimozione completa del vitreo. “Una vitrectomia limitata, o centrale, preserva il gel vitreale dietro il cristallino nei pazienti fachici e diminuisce la possibilità di formazione di cataratta ed evita il distacco posteriore chirurgicamente indotto, riducendo il rischio di rotture retiniche iatrogene”, spiega Sebag, che ha pubblicato numerosi studi parlando di vitrectomia refrattiva limitata. “L’obiettivo è ridurre la sensibilità al contrasto e abbiamo dimostrato che a una settimana dalla chirurgia questa si normalizza e rimane tale per le settimane, i mesi e gli anni successivi, con complicanze minime”. La cosa importante è non toccare la corteccia vitreale, né il vitreo anteriore e periferico, secondo il Professor Stanga. “La procedura è minimale giusto per rimuovere le opacità vitreali. Abbiamo dimostrato con l’i-
maging che questo è sufficiente a eliminare la sintomatologia. Solo una piccola percentuale di pazienti ha un distacco posteriore di vitreo successivo, ma con sintomi non così gravi da richiedere una seconda chirurgia. La moderna vitrectomia non è più rischiosa della vitreolisi con laser YAG”. Tuttavia, non tutti i pazienti sono adatti a questa possibilità. “I miopi elevati con già un parziale distacco di vitreo dovrebbero forse sottoporsi a una vitrectomia completa, poiché molto probabilmente sperimenteranno il distacco del vitreo corticale residuo entro tre mesi dall’intervento”, aggiunge Stanga. Secondo la Dottoressa Relimpio, l’introduzione dei trocar è stata fondamentale. “I trocar sono la chiave, come la microchirurgia con 27 gauge. La vitrectomia pars plana è più facile oggi rispetto a trent’anni fa e i rischi sono completamente differenti”, afferma. “I trocar proteggono il vitreo anteriore dalla manipolazione degli strumenti chirurgici, che in passato causava spesso rotture retiniche periferiche. Questa complicanza è ormai praticamente inesistente nelle mani di operatori esperti. Sebbene la tecnica possa sembrare semplice, dovrebbe essere eseguita da chirurghi esperti, poiché le miodesopsie sono una condizione benigna”. La selezione dei pazienti dev’essere comunque accurata. “I pazienti ideali sono sopra i 55 anni, con distacco posteriore di vitreo, e hanno delle opacità dense che giustificano lo stress funzionale e psicologico per più di sei mesi; altri sono i pazienti pseudofachici con IOL multifocali, che la letteratura9 dimostra hanno un buon profilo di sicurezza quasi come la chirurgia della cataratta”, specifica Relimpio.
La vitrectomia è un’opzione tenuta in considerazione anche da chi tende a non intervenire operando meno pazienti per miodesopsie, specie nei
casi in cui la situazione è oggettivamente insostenibile. “Per quanto ami operare, lo faccio su veramente pochi pazienti con miodesopsie all’anno. Li informo dei rischi in cui possono incorrere, tipo una maggiore predisposizione a distacchi di retina”, spiega Shah. “Uno studio ha riportato un 10,9% di rischio nel lungo periodo. I pazienti con miodesopsie possono avere un vitreo intrinsecamente atipico, che può contribuire all’alto tasso riportato di distacchi di retina. Per ridurre questo rischio, tratto ogni patologia sospetta come la degenerazione a lattice o buchi atrofici pigmentati intraoperativamente con l’endolaser”.
STABILIRE UN RAPPORTO DI FIDUCIA
Tutto parte dalla comunicazione con il proprio paziente e l’approccio da tenere dipende potenzialmente da questo. “Dobbiamo comunque dire ai nostri pazienti che la loro condizione non è una minaccia alla loro vita, anche se va riconosciuta che causa loro stress e ci sono casi in cui è debilitante”, afferma Relimpio. “Il nostro consiglio ai pazienti deve basarsi sui loro problemi che dobbiamo cercare di risolvere con le giuste tecnologie

Dottoressa Isabel Relimpio-Lopez
LA SOLUZIONE CHE HA RIVOLUZIONATO
LA GESTIONE DELLA MIOPIA.


La sua efficacia nel rallentare la progressione miopica è sostenuta da oltre 90 pubblicazioni scientifiche e riconosciuta dai Professionisti della Visione. È ideale per tutte le esigenze dei giovani miopi anche in esterni con l’esclusiva versione fotocromatica Chamaleon
Continuiamo ad agire insieme, prendendoci cura del benessere visivo dei giovani con MiYOSMART.
Per informazioni, contatta il tuo MEdical Relations Specialist o scrivi a oculisti@hoya.it miyosmart.it - Seguici su: Hoya Lens Italia
Devo fidarmi a pieno dei miei pazienti in attesa di intervento e verificare oggettivamente che i loro sintomi impediscono loro di avere una vita normale, oltre che mettere in chiaro le aspettative postoperatorie
Chirag Shah

a nostra disposizione, continuando a fare ricerca e sviluppo”.
Non sono pazienti da ignorare, secondo Paul Singh. “Solo perché non avevamo opzioni in precedenza, non significa che le opacità vitreali non siano clinicamente significative. Ora che abbiamo le varie possibilità di trattamento dobbiamo cambiare il nostro atteggiamento e aiutare questi pazienti che soffrono, alzando le loro e le nostre aspettative”.
“La diagnosi è cruciale, e la valutazione preoperatoria è essenziale per trattare questi pazienti al meglio”, gli fa eco il Professor Stanga. “Le miodesopsie e le opacità vitreali sono una condizione che dovrebbe essere gestita dai chirurghi vitreoretinici, poiché un esame panretinico pre-trattamento, che includa l’oftalmoscopia indiretta con indentazione sclerale a 360 gradi, è essenziale, ed è l’unico modo per esaminare la retina fino all’ora serrata”, spiega. “Solo un chirurgo vitreoretinico può valutare con competenza se le lesioni retiniche periferiche richiedono una retinopessia laser profilattica prima che il paziente venga sottoposto a vitreolisi con laser YAG o a vitrectomia,
e può trattare queste lesioni, quando necessario, utilizzando il laser somministrato con l’oftalmoscopio indiretto sotto indentazione sclerale. Bisogna ricordare che si tratta di una condizione del corpo vitreo che deve essere gestita in associazione con la retina”. In aggiunta, per Chirag Shah, serve un rapporto di fiducia completa tra medico e paziente. “Devo fidarmi a pieno dei miei pazienti in attesa di intervento e verificare oggettivamente che i loro sintomi impediscono loro di avere una vita normale, oltre che mettere in chiaro le aspettative postoperatorie”, puntualizza Shah. Qualsiasi sia l’approccio, e a prescindere da quale posizione si assuma nella controversia, una diagnosi oggettiva e accurata con gli strumenti che abbiamo a disposizione rimane il punto fondamentale su cui concentrarsi. “Abbiamo l’opportunità di venire incontro ai bisogni di certi individui che finora sono stati ignorati dalla professione medica. Incoraggio tutti a usare le metodologie a nostra disposizione, a guardare direttamente il vitreo, piuttosto che guardare solo attraverso di esso, e valutare i propri pazienti per rendere loro la vita migliore”, conclude J Sebag.
BIBLIOGRAFIA
1 Webb BF, Webb JR, Schroeder MC, North CS. Prevalence of vitreous floaters in a community sample of smartphone users. Int J Ophthalmol. 2013 Jun 18;6(3):402-5. doi: 10.3980/j.issn.2222-3959.2013.03.27. PMID: 23826541; PMCID: PMC3693028
2 Wagle AM, Lim WY, Yap TP, Neelam K, Au Eong KG. Utility values associated with vitreous floaters. Am J Ophthalmol. 2011 Jul;152(1):60-65.e1. doi: 10.1016/j. ajo.2011.01.026. Epub 2011 May 12. PMID: 21570045.
3 Nguyen JH, Nguyen-Cuu, Mamou J, Routledge B, Yee KMP, Sebag J: Vitreous structure and visual function in myopic vitreopathy. Am J Ophthalmol 224:246-53, 2021 https://doi.org/10.1016/j.ajo.2020.09.017
4 Sebag J: Vitreous and Vision Degrading Myodesopsia. Progr Ret Eye Res 2020 Nov;79:100847
5 Mamou J, Wa CA, Yee KM, Silverman RH, Ketterling JA, Sadun AA, Sebag J. Ultrasound-based quantification of vitreous floaters correlates with contrast sensitivity and quality of life. Invest Ophthalmol Vis Sci. 2015 Jan 22;56(3):1611-7. doi: 10.1167/ iovs.14-15414. PMID: 25613948; PMCID: PMC4554261.
6 Stanga PE, et al. Therapeutic Refractive Vitrectomy For The Management Of Vitreous Floaters And Opacities Assessed By The Standardized And Kinetic Anatomical And Functional Testing Of Vitreous Floaters And Opacities. Retina. 2025 May 1;45(5):883892. doi: 10.1097/IAE.0000000000004373. PMID: 39693577.
7 Stanga PE, et al. New Terminology and Methodology for the Assessment of the Vitreous, Its Floaters and Opacities, and Their Effect on Vision: Standardized and Kinetic Anatomical and Functional Testing of Vitreous Floaters and Opacities (SK VFO Test). Ophthalmic Surg Lasers Imaging Retina. 2023 May;54(5):306-315. doi: 10.3928/23258160-20230412-02. Epub 2023 May 1. PMID: 37184989.
8 Boneva SK, Nguyen JH, Mamou J, Yee KM, Hoerig C, Silverman RH, Ketterling JA, Stanga P-E, Reinstein DZ, Sadun AA, Sebag J: Clinical management of vision degrading myodesopsia from vitreous floaters – observation vs. limited refractive vitrectomy. Ophthalmology Retina 2025;May 15:S2468-6530(25)00221-0. doi: 10.1016/j. oret.2025.05.014
9 Nguyen JH, Yee KMP, Nguyen-Cuu J, Mamou J, Sebag J: Vitrectomy improves contrast sensitivity in multifocal pseudophakia with vision degrading myodesopsia. Am J Ophthalmol 244:196-204, 2022. https:// doi.org/10.1016/j.ajo.2022.05.003
Dottor Chirag Shah
Fielmann mette al primo posto le esigenze dei propri clienti, offrendo soluzioni ottiche su misura. Grazie a una serie di servizi esclusivi assicura un’esperienza di acquisto serena e totalmente tutelata.
OFFRIAMO INOLTRE VANTAGGI DEDICATI A CHI SI PRESENTA CON UNA PRESCRIZIONE OCULISTICA:
50 €
SU OCCHIALI MONOFOCALI (con una spesa minima di 200€)*
100 €
SU OCCHIALI PROGRESSIVI (con una spesa minima di 300€)*
UN BENEFICIO IN PIÙ PER AIUTARE I TUOI PAZIENTI A PRENDERSI CURA DELLA PROPRIA SALUTE VISIVA!
DA OLTRE 50 ANNI VEDIAMO
IL MONDO CON OCCHI DIVERSI: QUELLI DEI NOSTRI CLIENTI
RiflettoRi sull’espeRto
TRA CUORE E SCIENZA
L’oftalmologia attraverso gli occhi di un visionario, tra amore per la professione e la vita
Intervista al Dottor
Pavel Stodulka, CEO Geminy Eye Clinics, Repubblica Ceca, Tesoriere ESCRS
Per collegarsi al video, scansionare il codice QR

FFondatore, primario e CEO delle Gemini Eye Clinics in Repubblica Ceca, Austria e Polonia, Professore a contratto di Oftalmologia presso l’Università Carolina di Praga, Pavel Stodulka, MD, PhD, FEBOS-CR, è ampiamente riconosciuto come innovatore e pioniere di numerose tecniche chirurgiche. Relatore in oltre mille presentazioni a innumerevoli congressi internazionali, è attualmente Tesoriere dell’ESCRS, ex Presidente dell’AECOS Europe, ex Vicepresidente della Società Ceca di Chirurgia Refrattiva e della Cataratta, e membro del consiglio della Società Oftalmologica Ceca. Appassionato e instancabile nel suo lavoro, riesce comunque a bilanciare la sua vita professionale con l’amore e le attenzioni per la famiglia e gli amici, oltre che con numerosi sport in cui eccelle.

Qual è la sua sotto specialità o il suo principale ambito di interesse? Eseguo un volume elevato di chirurgie del segmento anteriore, principalmente chirurgia della cataratta e refrattiva. Inoltre, pratico interventi di trapianto di cornea, in particolare DMEK o trapianti lamellari intrastromali. Sono anche formato in chirurgia vitreo-retinica, quindi, quando necessario, posso eseguire procedure combinate. Mi piace essere un pioniere e implementare l’innovazione nella chirurgia oculare per far progredire il nostro campo, e sono anche un insegnante appassionato, perché mi piace aiutare i giovani chirurghi a sviluppare le loro competenze, conoscenze e fiducia in sé stessi, assistere alla loro crescita e condividere il loro entusiasmo. La nostra sotto specialità è vivace, in continua evoluzione, e ci sono molte innovazioni in corso. Ogni anno impariamo nuove tecniche, abbiamo nuovi strumenti per arricchire il nostro armamentario, nuovi laser, nuove lenti, e per me è sempre entusiasmante lavorare in un ambiente così dinamico, insieme ai miei colleghi e soprattutto con i giovani oculisti.
Qual è stato il suo contributo ai progressi dell’oftalmologia?
Sono sempre stato desideroso di cavalcare l’onda dell’innovazione ed esplorare nuovi orizzonti. Sono stato il primo chirurgo a eseguire interventi di LASIK e Femto LASIK nel mio Paese, la Repubblica Ceca. Ho avuto più volte l’onore di eseguire interventi chirurgici in anteprima mondiale, come il primo impianto al mondo di IOL fachica per la presbiopia, oppure il primo
di Timothy Norris
Mi piace profondamente la vita su questo pianeta. [...] Credo sia un pianeta meraviglioso e dobbiamo prendercene
cura.
Proprio per questo, penso sia fondamentale applicare i principi della sostenibilità anche nella pratica oftalmica quotidiana
Pavel Stodulka
intervento al mondo di SMILE per la presbiopia. Sono stato anche il primo a impiantare a livello mondiale diversi tipi di lenti intraoculari, come la LuxSmart EDOF IOL (Bausch + Lomb), la versione idrofoba della FineVision IOL, e altre lenti EDOF. Recentemente, abbiamo avviato qui in Repubblica Ceca una nostra azienda di produzione di IOL, la Pollux Nova, e abbiamo sviluppato una nostra cornea artificiale, che promette un impianto più sicuro e semplice, con meno rischi. Inoltre, abbiamo altri progetti in fase di sviluppo.
Chi sono state le persone più influenti nella sua carriera? Chi considera i suoi maestri?
Negli anni Novanta, mentre imparavo la chirurgia oculare, ho fatto più volte visita a Howard Gimbel a Calgary, in Canada, che è diventato il mio guru. Sono andato da questo chirurgo molto innovativo, che non solo ha fondato la prima clinica oculistica privata in Canada, ma è stato anche capace, oltre a eseguire un’elevata quantità di interventi refrattivi e di cataratta, di sviluppare nuove tecniche ed evolvere la chirurgia oftalmica. È conosciuto in tutto il mondo come il padre della capsuloressi, e siamo diventati grandi amici. Sono stato ospite a casa sua, e siamo ancora in contatto. Howard Gimbel ha ricevuto il suo premio alla carriera proprio da me e dal nostro gruppo. Un altro mio conoscente di lunga data, che ha avuto grande influenza su di me, è Burkhard Dick, attuale Presidente eletto dell’ESCRS. Lo ammiro per la sua capacità di creare intorno a sé una squadra di giovani oculisti

e per la sua costante spinta verso l’innovazione. E, naturalmente, nel corso della mia carriera ho imparato molto anche da numerosi oculisti cechi.
Qual è stato, finora, il suo più grande successo professionale?
Credo che il mio più grande successo sia stato costruire il grande gruppo delle Gemini Eye Clinics, composto da quasi quattrocento persone, tra professionisti della salute e della gestione sanitaria. Insieme, siamo in grado di eseguire quotidianamente un elevato numero di interventi chirurgici, rendendo felici i nostri pazienti, soddisfacendo le loro esigenze, creando un ambiente davvero su misura per loro, e al contempo continuando a innovarci. Abbiamo una nostra squadra dedicata all’intelligenza artificiale. Abbiamo sviluppato una nostra formula di calcolo della po -
tenza delle IOL basata sull’IA, che è oggi tra le più precise e avanzate al mondo. Inoltre, abbiamo creato una nostra linea di lenti intraoculari, prodotte in Repubblica Ceca. Sviluppiamo strumenti, e abbiamo anche contribuito allo sviluppo di nuovi laser: il CASULaser (Excellens), ad esempio, è stato sviluppato qui ed è ora utilizzato in molte parti del mondo. Abbiamo scoperto il central trypan landmark, un punto di riferimento che può essere utilizzato per la centratura della capsuloressi o capsulotomia. E, ancora una volta, abbiamo diversi altri progetti in fase di sviluppo, e mi piace davvero lavorare insieme al mio team e integrare questo lavoro nella cooperazione internazionale. Ritengo che tutto ciò sia un grande successo, soprattutto considerando che siamo partiti nel periodo post-comunista qui in Repubblica Ceca. Tutti questi sviluppi sembra - ➧
Pavel Stodulka è un appassionato di sport, che pratica regolarmente, tra cui il jet surf
RiflettoRi sull’espeRto
vano sogni irraggiungibili, perché eravamo molto indietro rispetto ai nostri colleghi occidentali, e invece siamo riusciti non solo a raggiungerli, ma anche a partecipare alle innovazioni più recenti e avanzate, collaborando con produttori di laser e di IOL. Quindi, curare i pazienti e sviluppare nuove innovazioni in oftalmologia: questa è la mia passione.
Lei è presente sulla scena internazionale ed è coinvolto nei grandi progressi dell’oftalmologia. Quanto di ciò che fa e apprende a livello internazionale riesce ad applicare concretamente nella pratica quotidiana a beneficio dei pazienti?
In passato ho lavorato come Primario del Reparto di Oftalmologia presso l’Ospedale Regionale Bata, una posizione molto prestigiosa in una struttura oculistica molto rinomata. Ma a un certo punto ho capito che, se davvero volevo stare al passo con i continui progres -
si dell’oftalmologia, avrei dovuto fondare una mia clinica, proprio come fece Howard Gimbel in Canada, con la sua prima attività privata. Così è nata la Gemini Eye Clinic, che si è poi sviluppata fino a diventare una rete di 11 cliniche in Europa centrale. Il principale vantaggio è che, a differenza dei grandi ospedali, non abbiamo vincoli burocratici che rallentano i processi decisionali. Possiamo prendere decisioni rapidamente, seguire le tendenze più recenti. Naturalmente, è fondamentale generare risorse economiche sufficienti per investire nelle tecnologie più avanzate — e questo lo facciamo. In questo modo possiamo lavorare con i laser più moderni, collaborare con le migliori aziende a livello mondiale, ed essere in grado di applicare le ultime innovazioni nella pratica clinica quotidiana praticamente senza ritardi. Certo, serve un team disposto ad accogliere l’innovazione e occorrono risorse per realizzarla.
Ma fino ad oggi siamo riusciti a fare tutto questo nella nostra routine giornaliera, e mi dà grande soddisfazione far parte di un team così straordinario.
Quanto è importante la sua professione nella sua vita? La valuti su una scala da uno a dieci e ci spieghi il perché.
È molto importante. Direi 9 su 10. Ma vorrei anche chiarire che il 10 su 10 lo riservo alla mia famiglia. Credo fermamente che si debba trovare un equilibrio tra la vita familiare e la passione professionale, ed è una sfida molto impegnativa. Devo ringraziare mia moglie, che è molto tollerante nei confronti del mio carico di lavoro spesso eccessivo! Anche lei è medico e da oltre vent’anni si occupa di agopuntura nel suo ambulatorio. Tratta anche l’occhio secco e ha sviluppato un suo metodo personale di trattamento con agopuntura orbitale profonda, quindi collaboriamo an -

Il Dottor Stodulka è stato recentemente nominato Tesoriere dell’ESCRS
che in alcuni ambiti. Inoltre, tratta il blefarospasmo. Il suo studio si trova nello stesso edificio della Gemini Eye Clinic; quindi, siamo vicini anche durante l’orario lavorativo. Lavoriamo insieme, viviamo insieme, abbiamo figli e nipoti, e cerchiamo di mantenere l’equilibrio in tutto questo. Sono stato, e sono, molto fortunato ad avere una moglie così straordinaria e tollerante, che amo profondamente.
Quali sono le sue passioni e i suoi hobby al di fuori della professione? Essendo un chirurgo oculista, passo la maggior parte delle ore lavorative in sala operatoria, in una posizione statica, con gli occhi puntati al microscopio e le mani “dentro l’occhio”. Per questo sento il bisogno di compensare questa postura statica. Il lavoro, in sé, non mi è fonte di stress, anche se affrontiamo situazioni molto complesse, nella maggior parte dei casi riusciamo a ottenere ottimi risultati per i pazienti. Ma è comunque fondamentale trovare un equilibrio fisico.
Io lo trovo attraverso lo sport. A me, a mia moglie e a tutta la mia famiglia piace fare attività fisica. In estate facciamo mountain bike, ciclismo su strada, pattinaggio, escursionismo e passeggiate con il nostro cane. Amiamo anche il jet surf, una tavola motorizzata da usare sull’acqua, che pratichiamo dalla primavera fino all’autunno. Ci dedichiamo anche ad altri sport ricreativi. In inverno, invece, facciamo sci, snowboard e scialpinismo. Ci piace anche passare del tempo insieme nella nostra vecchia casa in legno, immersa tra le colline. È importante avere attività che ti permettano di guardare il mondo da un’altra prospettiva, dare al cervello un’altra agenda e condividere momenti con le persone che ami. Solo così si può raggiungere un vero equilibrio nella vita. Mi piace essere attivo; non ho mai abbastanza tempo per realizzare tutte le mie idee o completare tutti i miei compiti. Detto questo… mi piace dormire! Credo che il sonno sia fondamentale per bilanciare le attività del giorno, rigenerarsi e persino avere nuove idee, perché credo che, mentre dormiamo, il nostro cervello si connetta con l’universo.

Il Dottor Stodulka pattina sul ghiaccio durante l’ultimo Winter Meeting di ESCRS ad Atene
Mi piace profondamente la vita su questo pianeta, finché siamo in salute e c’è pace. Credo sia un pianeta meraviglioso e dobbiamo prendercene cura. Proprio per questo, penso sia fondamentale applicare i principi della sostenibilità anche nella pratica oftalmica quotidiana. Nelle nostre cliniche Gemini produciamo molti meno rifiuti rispetto alla media europea. Abbiamo persino le nostre arnie e api: quest’estate abbiamo raccolto il nostro primo miele prodotto nelle cliniche. È una bella sensazione, un modo per sentirsi connessi al mondo e fare le cose in modo più sostenibile. Credo che sia davvero essenziale per il futuro del nostro pianeta.
La lampada di Aladino: un desiderio, un’innovazione rivoluzionaria che vorrebbe avere già pronta per i suoi pazienti. Usando la lampada di Aladino, il
mio desiderio sarebbe lo sviluppo di una vera lente intraoculare accomodativa. Penso che sarebbe un progresso fondamentale. Nonostante oggi abbiamo a disposizione ottime lenti trifocali o addirittura pentafocali, che impiantiamo con grande successo nei nostri pazienti, queste lenti dividono la luce e, di conseguenza, una parte di questa viene persa.
Le lenti intraoculari attuali non riescono a focalizzare tutta la luce proveniente da diverse distanze direttamente sulla fovea. Una lente intraoculare realmente accomodativa sarebbe una svolta straordinaria, e credo che prima o poi la otterremo. Ci sono team di ricerca in tutto il mondo che stanno lavorando su questo concetto, e non vedo l’ora, più avanti nella mia carriera, di poter impiantare una IOL di questo tipo nei miei pazienti.
I PAZIENTI DIMENTICATI
Una review sottolinea come anche i giovani miopi possono soffrire seriamente di miodesopsie gravi e come non bisogna lasciarli indietro
Intervista al Dottor
Michael Albrecht, Università di Heidelberg, Germania
NNegli ultimi anni, le miodesopsie stanno attirando sempre più attenzione nel campo della ricerca oftalmologica, specialmente del segmento posteriore. In linea generale si parla di un disturbo visivo molto comune, spesso descritto come la comparsa di “mosche volanti” o filamenti che sembrano muoversi davanti agli occhi.
Solitamente, le miodesopsie colpiscono le persone più anziane e non sono considerate pericolose. Nella maggior parte dei casi, il cervello tende ad adattarsi alle miodesopsie o addirittura queste escono dal campo visivo con il passare dei mesi.

Ciò non vale per tutti i pazienti. Ci sono alcuni che soffrono di miodesopsie in modo significativo, con effetti negativi sulla qualità della vita. In queste situazioni, quello che per alcuni è solo un fastidio temporaneo può diventare una presenza costante e frustrante nella vita di tutti i giorni.
Un cambio di paradigma all’interno della comunità oftalmologica è già in atto, segnato anche da una nuova terminologia come “miodesopsie che degradano la vista” (vision degrading myodesopsia - VDM), suggerita dal Professor J Sebag, per mettere l’accento sull’aspetto patologico delle miodesopsie, sia sintomatiche che no e il bisogno di riconoscere il discomfort del paziente e trattarlo.
Tuttavia, c’è uno strato ancora più profondo che manca ancora di una buona fetta di ricerca. “Per la maggior parte le miodesopsie sono un fenomeno tipicamente degli anziani, specie con distacco posteriore del vitreo”, afferma il Dottor Michael Albrecht, del dipartimento di oftalmologia dell’Università di Heidelberg. L’esperienza clinica del
Dottor Albrecht con i pazienti affetti da miodesopsie ha rivelato però qualcosa di veramente interessante. “Dalla mia esperienza clinica però, ho trovato molti pazienti giovani, miei coetanei, fine 20 e primi 30 anni, con miodesopsie, senza distacco posteriore di vitreo all’esame del fundus e OCT, e tutti con una caratteristica però comune: un certo grado di miopia”.
I pazienti giovani, come ricorda il Dottor Albrecht, sono di solito sottovalutati dalla ricerca sulle miodesopsie.
Un buco da colmare per un campo di ricerca in fermento e che sta animando i congressi, gli appuntamenti internazionali e il mondo del segmento posteriore. Un argomento, quello delle miodesopsie, in cui sembra ci sia ancora molto da fare e dire.
UN LEGAME A DOPPIO FILO CON L’EPIDEMIA DI MIOPIA
“Mi sono reso conto che qualcosa mancava in questo campo o comunque qualcosa non era stato portato bene in evidenza”, spiega Albrecht. I dati sui giovani miopi con miodesopsia tuttavia non mancavano, cosa che ha reso più semplice la raccolta per scrivere la review.
La review è stata alla fine pubblicata su Survey of Ophthalmology lo scorso ottobre 2024, dopo quasi due anni di lavoro. “Avevo un’idea ben precisa in mente di cosa fosse importante e cosa dovevo includere. Prima di tutto informare sulla tematica. Poi differenziare tra miodesopsie causate da distacco posteriore del vitreo e miodesopsie nei giovani miopi”, afferma. Nel farlo, Albrecht voleva dunque sfidare l’assunto dato per scontato che le miodesopsie siano solo un aspetto dell’invecchia-
Dottor Michael Albrecht
Con l’aumento di casi di miopia a cui assisteremo nei prossimi anni, avremo pazienti con miodesopsie sempre più giovani
Michael Albrecht

mento, spiegando nei primi capitoli del suo lavoro come la liquefazione vitreale fibrosa dovuta alla vitreopatia miopica acceleri nelle miopie moderate e gravi e porti allo sviluppo di sintomi di miodesopsie anche senza distacco posteriore del vitreo. Per questo, i pazienti interessati sono più giovani.
La miopia è dunque un aspetto fondamentale da non prendere alla leggera, specie con le previsioni di aumento drammatico di pazienti per i prossimi 25 anni. “Con l’aumento di casi di miopia a cui assisteremo nei prossimi anni, avremo pazienti con miodesopsie sempre più giovani”, sostiene Albrecht. Ancora una volta dunque, come sottolinea la review, la prevenzione della miopia è un aspetto importante anche in questo campo di studi, perché riduce i rischi di miodesopsie gravi e di altre conseguenze.
PAZIENTI DA NON ABBANDONARE I pazienti che soffrono particolarmente a causa delle miodesopsie lamentano gravi conseguenze su attività quotidiane come la guida o la lettura. Pazienti giovani significa che sono in età lavorativa e universitaria. Le miodesopsie con effetti gravi sulla loro vista possono compromettere seriamente le loro possibilità di vita. Nella sua review, il Dottor Albrecht ha provato ad analizzare anche quei pochi lavori che si occupano
dello stato di salute mentale di questi pazienti, un campo di studi molto recente. “Le evidenze in letteratura sono limitate”, spiega. “Sembra il problema dell’uovo e della gallina: alcuni dicono che alcune condizioni psicologiche portino a lamentarsi delle miodesopsie, e altri dicono che le miodesopsie causano depressione. È difficile da valutare”. Tuttavia, come ricorda il Dottor Albrecht, alcuni studi hanno dimostrato che il trattamento delle miodesopsie porta a un processo di risoluzione dello stato depressivo o di ansia. “Secondo me sono piccoli segnali che veramente questi stati depressivi siano dovuti alle miodesopsie in questi pazienti, che vanno presi sul serio”.
PERCHÉ CONTINUARE A STUDIARE LE MIODESOPSIE?
Una review non ha veramente una conclusione specifica. Ciò a cui si voleva arrivare però è dare un quadro comprensivo dello stato della ricerca, su cui poi fare una riflessione. Secondo Michael Albrecht, nel campo manca ancora moltissima ricerca, non solo per quanto riguarda la patogenesi delle miodesopsie o la genetica della miopia, ma anche per i trattamenti. “Nessuno prima d’ora ha provato a fare una comparazione tra lo stato della ricerca su vitreolisi con laser YAG e vitrectomia
in uno studio unico. Siamo stati i primi a farlo”, spiega. In più, nella review vengono illustrati anche nuovi metodi di trattamento in fase di sviluppo, come l’uso di nanoparticelle d’oro con un impulso laser. “Sono state letture interessanti da riportare, perché sono degli approcci diversi che possono essere più protettivi per l’occhio rispetto a una vitrectomia, che porta inesorabilmente a sviluppare una cataratta prima o poi. Stiamo parlando di pazienti giovani”, sostiene Albrecht.
UN CAMPO DI STUDIO
PER GIOVANI
I giovani possono contribuire a questa ricerca, specialmente pensando fuori dalla scatola e portando delle nuove idee. Il cambio di paradigma sulle miodesopsie sta ancora avvenendo e, secondo il Dottor Albrecht, siamo solo all’inizio. “Intervistando il Professor Sebag, abbiamo pensato che forse tra 50 anni guarderemo divertiti dello stato in cui siamo oggi, del non trattare le miodesopsie come una malattia o comunque qualcosa di importante”, afferma. Il messaggio per i colleghi, specie i più giovani e motivati, è chiaro. “Quello delle miodesopsie è un campo di ricerca molto specifico. Abbiamo davanti la possibilità di nuovi sviluppi proprio per le sfide che stiamo per affrontare”, puntualizza Albrecht. “Con tutte le possibilità e le idee sul tavolo, incoraggio chiunque sia interessato a impegnarsi in questo contesto. Si tratta di qualcosa di veramente nuovo e trovare novità del genere nel 21esimo secolo non è facile”, conclude.
BIBLIOGRAFIA
1 Albrecht M, Auffarth GU, Friedrich M, Kessler LJ, Khoramnia R. Vision degrading myodesopsia from vitreous floaters in the young: An important aspect of myopia. Surv Ophthalmol. 2025 Mar-Apr;70(2):265-282. doi: 10.1016/j. survophthal.2024.10.001. Epub 2024 Oct 16. PMID: 39424075.
di Laura Gaspari
A RISCHIO D’INCENDIO
Tra rocamboleschi colpi di scena e imprevisti, quello che conta è attenzione e tempestività
Intervista al Dottor
Matteo Forlini, Ospedale di Stato di San Marino
SSono gli istanti conclusivi dell’intervento, quel momento in cui tutto sembra essere andato al meglio, dove si può già iniziare a pensare al prossimo paziente, o direttamente a cosa fare una volta conclusa la giornata lavorativa. Sono gli istanti in cui l’ultima cosa che si vorrebbe affrontare è un colpo di scena, un caso semplice che, a un passo dal traguardo, muta istantaneamente in un incubo.
Matteo Forlini, MD aveva appena finito di operare un paziente di 60 anni. Ciò che è accaduto successivamente nella sua camera posteriore avrebbe potuto avere delle conseguenze disastrose per entrambi. “Il paziente presentava una membrana epiretinica con un foro lamellare. Inoltre, aveva subito circa vent’anni fa un intenso trattamento argon laser a causa di una pregressa occlusione venosa retinica di branca”, racconta.
Durante l’operazione, Forlini osserva l’ampia zona trattata con il laser, riconoscendo in essa un potenziale responsabile del quadro clinico retinico del paziente, un elemento


che a posteriori ricorderà anche come una delle cause del momento ad alta tensione che si sarebbe presto trovato ad affrontare. “Quasi certamente il trattamento ad argon laser ha creato il foro lamellare, nonché lo stato infiammatorio del vitreo che ha portato alla complicanza imprevista”, spiega. Forlini inizia quindi l’intervento con una consuetudinaria vitrectomia centrale, andando poi a controllare lo stato della ialoide posteriore, notando un’anomalia. “Il vitreo nella media ed estrema periferia risultava particolarmente adeso, ispessito, di sicuro non il classico vitreo che notiamo in un paziente di sessant’anni”. Il Dottor Forlini non si dà per vinto e decide comunque di procedere con l’intervento. “Come sempre a me piace colorare il vitreo con il triamcinolone, un’abitudine che condivido con tantissimi chirurghi. Una volta che il vitreo è ben visibile, iniziamo a liberare il polo posteriore con una vitrectomia centrale”, racconta. Dopo aver liberato il polo, Forlini colora la retina usando il MembraneBlue-Dual® per visualizzare al meglio la membrana epiretinica e la limitante interna, iniziando quindi la fase del peeling. “Libero la macula con facilità. Si elimina così la trazione dovuta alla membrana epiretinica e alla limitante interna in modo da favorire la chiusura del foro lamellare, come secondo i piani”, osserva. Finito il peeling, l’intervento è pressoché concluso. “Beh dai, tutto bene, tra pochi minuti il caso è finito”, Forlini conviene con il personale infermieristico in quel momento. “Come faccio sempre, prima di concludere l’intervento vado a ricontrollare la situazione retinica, dando un’occhiata anche alla periferia, perché insomma… non si sa mai”, racconta.
Il Dottor Matteo Forlini
Per collegarsi al video, scansionare il codice QR
di Timothy Norris
Quasi certamente il trattamento ad argon laser ha creato il foro lamellare, nonché lo stato infiammatorio del vitreo che ha portato alla complicanza imprevista
Matteo Forlini
Proprio in quel momento, alla fine dell’intervento, quando ormai tutto sembrava essere concluso, Forlini osserva nuovamente la presenza del vitreo anomalo, notando un piccolo ‘forellino’ nella zona retinica inferiore. Forlini torna quindi in azione: “Agisco subito per limitare il forellino con l’endolaser. Non contento, decido di rimuovere proprio il vitreo che si trova in quella zona”. Secondo Forlini, questa è stata una decisione definita da lui stesso controversa, spiegando come questo momento preciso lo ha portato alla pubblicazione del caso, “presentato appositamente perché può far scaturire discussione e dibattito”.
Mentre Forlini si adopera a rimuovere il vitreo anomalo, infatti, una parte di retina a livello inferiore si solleva di colpo, creando una rottura evidente. “Questo è il momento in cui tutto improvvisamente cambia”, racconta. “Fino a quell’istante si trattava di una chirurgia semplice, e invece mi trovo improvvisamente a dover gestire un distacco con una rottura iatrogena della retina”. In quel momento, Forlini si muove tempestivamente, una decisione che sarà chiave per la risoluzione. “Il sollevamento retinico non aveva coinvolto la macula, ma è ben noto che l’infusione d’acqua in camera vitrea avrebbe portato a un distacco completo. Il tempo qui era veramente denaro”. Forlini agisce dunque immediatamente, “prima con l’endolaser per limitare subito la zona del distacco appena formatosi attorno alla rottura, e subito dopo procedendo a uno scambio con aria”. Scambio dettato da un forte razionale. “L’aria va a tamponare e non ad alimentare il distacco di retina come fa invece l’acqua”, spiega. Questo

durante il corso tematico “Ophthalmology Recipes: Tips and Tricks” al XXV Congresso del GIVRE a Milano.
ha l’effetto di limitare il sollevamento retinico iniziale, che viene bloccato con l’endolaser portando a una cicatrizzazione in un paio di settimane.
Al follow-up, racconta Forlini, l’OCT riportava una buona riuscita dell’intervento a livello maculare con una risoluzione del foro e della trazione dovuta alla membrana epiretinica. Nella periferia, la rottura e il sollevamento si erano completamente risolti. “Il paziente non si è accorto quasi di nulla”, racconta Matteo Forlini. “Questo caso chirurgico mi ha messo in difficoltà. Un vero pericolo scampato. Ero partito pensando di avere a che fare con una banana, mi sono trovato ad affrontare un’intera macedonia”, ironizza. “Ancora un po’ e mi sarei trovato a dover gestire un distacco di retina che avrebbe interessato anche la macula. Uno scenario non solo ben più difficile da gestire, ma che avrebbe portato a dover usare tutte le armi a disposizione, come perfluorodecalina e
altri tamponanti”, osserva.
Dover gestire uno scenario simile è un po’ come dover domare un incendio, osserva Forlini. “Il distacco è come un fuoco. Inizia da una piccola fiamma e quando meno te ne rendi conto sta bruciando una tenda. Se non fai qualcosa ti brucia la casa”. Per questo motivo, la tempestività è la risorsa migliore. “Intervenendo tempestivamente siamo subito riusciti a spegnere questo fuoco usando solamente aria ed endolaser per circoscrivere e contrastare una situazione che poteva davvero in poco tempo diventare non solo complicata, ma irreversibile”, osserva.
Il messaggio finale è, che anche se ci si trova a fine intervento, bisogna sempre tenere la guardia alta. “Dobbiamo stare sempre attenti e all’erta perché anche la più semplice delle chirurgie, anche quella più gestibile in tempi brevi può complicarsi a causa di un imprevisto”, conclude Matteo Forlini.
Screenshot- creato da Matteo Forlini e Fabio Avolio, il video “Management of iatrogenic retinal tears during macular surgery” è stato presentato
EMA APPROVA MYNZEPLI COME
BIOSIMILARE
DI EYLEA
I
Il 19 giugno scorso la Commissione Europea ha concesso l’autorizzazione all’immissione in commercio per Mynzepli, un biosimilare di Eylea, sviluppato da Alvotech in collaborazione con Advanz Pharma.
Mynzepli è stato approvato negli adulti per le stesse indicazioni terapeutiche di Eylea, tra cui la degenerazione maculare senile umida (AMD), il deficit visivo dovuto a edema maculare secondario a occlusione della vena retinica centrale o ramificata (RVO), l’edema maculare diabetico (DME) e la neovascolarizzazione coroideale miopica (CNV).
La terapia sarà commercializzata come soluzione iniettabile da 40 mg/mL, disponibile sia in siringa preriempita, che in flaconcino.
L’approvazione segue i risultati positivi annunciati a gennaio 2024 di uno studio clinico condotto da Alvotech. Il trial ha confrontato l’efficacia, la sicurezza e l’immunogenicità del farmaco biosimilare con Eylea in pazienti affetti da AMD umida, raggiungendo con successo l’endpoint primario. I risultati hanno confermato l’equivalenza terapeutica tra il biosimilare e il prodotto di riferimento.
Il Comitato per i medicinali per uso umano (CHMP) dell’Agenzia Europea per i Medicinali (EMA) aveva precedentemente emesso un parere positivo, aprendo la strada all’autorizzazione da parte della Commissione. Secondo Alvotech, i dossier regolatori per Mynzepli sono attualmente in fase di revisione anche negli Stati Uniti, in Giappone e in altri mercati a livello globale.
Fonte: https://www.ema.europa.eu/ en/medicines/human/EPAR/mynzepli

IA E OCT A CASA SUPPORTANO
LE CURE PERSONALIZZATE
U
Un nuovo studio pubblicato su Ophthalmology Science ha concluso che l’intelligenza artificiale può monitorare in modo affidabile l’attività della malattia nei pazienti affetti da degenerazione maculare legata all’età (AMD) di tipo umido, utilizzando le immagini OCT prese da casa su base quotidiana. Lo studio ha analizzato i dati di 180 pazienti con AMD umida, confrontando le valutazioni dei biomarcatori effettuate dall’analizzatore OCT Notal (NOA), basato su IA e sviluppato da Notal Vision, con le annotazioni di tre esperti. I risultati hanno mostrato un alto grado
di concordanza: NOA è riuscito a rilevare cambiamenti clinicamente significativi. La sensibilità è migliorata notevolmente quando i medici hanno utilizzato soglie personalizzate per i cambiamenti anatomici retinici, passando da circa il 90% al 99,1%, senza aumentare il rischio di falsi positivi.
Precedenti studi fondamentali avevano già stabilito che il sistema SCANLY Home OCT di Notal è equivalente all’OCT eseguito in ambulatorio nella visualizzazione dei principali biomarcatori dell’AMD. Avevano anche validato l’accuratezza del NOA nell’identi -

ficare spazi ipo-riflettenti, un importante marcatore della malattia, in un contesto trasversale. Questo studio è il primo a confermare l’efficacia del NOA nel monitoraggio longitudinale in un ambiente domiciliare.
“Questo lavoro rappresenta un passo importante verso una cura personalizzata dei pazienti con AMD”, ha dichiarato Kester Nahen, PhD, CEO di Notal Vision in un comunicato stampa dell’azienda. “Dimostra che l’imaging domiciliare, supportato dall’IA e supervisionato dai medici, può monitorare in modo affidabile l’attività della malattia e aiutare gli specialisti a prendere decisioni informate nella gestione dei loro pazienti”.
Fonte:
https://notalvision.com/assets/press-releases/Aug-26-2025-AI-Turns-Daily-Home-OCT-Images-into-Actionable-Disease-Insights-for-Retina-Specialists.pdf
ASSOCIATI
A UN RISCHIO RIDOTTO DI UVEITE
U AGONISTI DEL RECETTORE GLP-1
Un nuovo studio pubblicato su Jama Ophthalmology ha suggerito che gli agonisti del recettore del peptide-1 simile al glucagone (GLP-1 RA), ampiamente utilizzati nella gestione del diabete e dell’obesità, potrebbero essere associati a un rischio ridotto di uveite rispetto a soggetti di controllo abbinati. Questi risultati fanno ipotizzare potenziali effetti antinfiammatori dei GLP-1 RA oltre ai loro benefici metabolici, aprendo nuove prospettive di ricerca sulle patologie infiammatorie oculari.
Lo studio di coorte retrospettivo ha analizzato dati prescrittivi e risultati oculari associati, rilevando che i pazienti che utilizzano GLP-1 RA presentano un’incidenza ridotta di uveite rispetto a chi non li assume. I risultati sembrano dunque
suggerire un potenziale effetto protettivo contro il processo infiammatorio dell’uveite.
Oltre al controllo glicemico, i GLP-1 RA sono già noti per i loro effetti positivi sulla salute cardiovascolare e metabolica. Questo studio rivela un possibile segnale antinfiammatorio a livello oculare, che potrebbe ampliarne le applicazioni terapeutiche. Se venisse confermato da ulteriori studi, i GLP-1 RA potrebbero offrire benefici aggiuntivi ai pazienti a rischio di infiammazione oculare, in particolare a quelli con diabete concomitante. Infatti, studi preclinici hanno evidenziato proprietà neuroprotettive e antinfiammatorie dei GLP-1 RA in diversi tessuti. Gli autori sottolineano la necessità di futuri studi prospettici per determinare un
nesso causale e valutare se i GLP-1 RA possano avere un ruolo nella gestione dell’uveite. Poiché questi farmaci sono spesso utilizzati in pazienti con obesità e malattie metaboliche, è fondamentale considerare attentamente i fattori confondenti e i profili di rischio di base nell’interpretazione dei risultati.
Fonte: Mohan N, Srivastava SK, Schulgit MJ, Nowacki AS, Kaelber DC, Sharma S. Glucagon-Like Peptide-1 Receptor Agonists and Risk of Uveitis. JAMA Ophthalmol. Published online August 28, 2025. doi:10.1001/jamaophthalmol.2025.2822

Lente per la gestione della progressione miopica nei bambini ed adolescenti

Pensata per accompagnare la visione in età evolutiva, MYOPICA impiega la tecnologia Perifocale per rispondere in modo mirato alla progressione miopica.
Una soluzione ottica avanzata, sviluppata per offrire continuità ed efficacia nel tempo, in risposta alle esigenze visive di bambini e adolescenti.
U L’IA PUÒ RILEVARE ANNI PRIMA I DANNI OCULARI
DA IDROSSICLOROCHINA
Un nuovo strumento di intelligenza artificiale potrebbe trasformare il monitoraggio dei pazienti che assumono idrossiclorochina, individuando i segni precoci di danni alla retina oltre due anni prima rispetto alla diagnosi clinica tradizionale. Lo rivela uno studio pubblicato sulla rivista Ophthalmology Retina
L’idrossiclorochina è un farmaco comunemente utilizzato per il trattamento di lupus, artrite reumatoide e altre malattie autoimmuni, ma può causare una retinopatia irreversibile se assunta per lunghi periodi. Si stima che fino al 7,5% dei pazienti sviluppi questa complicanza, che può portare a perdita permanente della vista. Il nuovo algoritmo, chiamato HC-
Query, è stato sviluppato da un team del Moorfields Eye Hospital e della University College London (UCL). Addestrato su oltre 8.000 scansioni OCT di 409 pazienti nel Regno Unito e negli Stati Uniti, il sistema ha dimostrato di identificare il 100% dei casi di retinopatia, con una media di 2,5 anni di anticipo rispetto alla diagnosi clinica. Inoltre, ha raggiunto un’accuratezza del 91% nell’escludere i pazienti sani. Gli autori dello studio hanno ribadito la necessità di studi prospettici in materia, oltre a riconoscere la difficoltà causata dalla rarità della malattia, di tempistiche lunghe e costi economici per implementare questo tipo di software nella pratica clinica. Tuttavia, l’obiettivo dei ricercatori è ora testare
l’algoritmo nella pratica clinica quotidiana, per valutare come integrarlo nei percorsi di screening esistenti. Se validato, HCQuery potrebbe diventare uno strumento essenziale per la prevenzione della cecità nei pazienti che assumono idrossiclorochina a lungo termine.
Fonte: Peter Woodward-Court, et al, Deep Learning Algorithm for the Diagnosis and Prediction of Hydroxychloroquine Retinopathy: An International, Multi-institutional Study, Ophthalmology Retina, 2025, ISSN 2468-6530, https:// doi.org/10.1016/j.oret.2025.06.003.

L SOOSAN JACOB
ELETTA PRESIDENTE
DELL’ISRS
PER L’ANNO 2026
La Dottoressa Soosan Jacob, MS, FRCS, DNB, MNAMS è stata eletta Presidente della Società Internazionale di Chirurgia Refrattiva (ISRS) per l’anno 2026. Ideatrice della tecnica CAIRS (Corneal
Allogenic Intrastromal Ring Segments), Soosan Jacob è riconosciuta universalmente tra le menti più brillanti e innovative dell’oftalmologia del segmento anteriore.

Fondata alla fine degli anni ‘70 da José Ignacio Barraquer insieme a Miles Friedlander, Casimir Swinger e Richard Troutman, la Società Internazionale di Chirurgia e Refrattiva si è sempre posta come un cardine di eccellenza nel mondo della chirurgia refrattiva internazionale grazie alle menti brillanti dei propri membri, contribuendo radicalmente alle grandi innovazioni che fanno oggi parte della pratica clinica di tutti i giorni. “È un vero onore poter servire l’ISRS come Presidente a partire da gennaio 2026, e attendo con ansia di poter guidare la società in una prossima fase di crescita”, annuncia Soosan Jacob in un’intervista per EyeSee.
Soosan Jacob è Direttrice del Dr. Agarwal’s Refractive and Cornea Foundation (DARCF) and Consulente Senior di Cataratta e Glaucoma al Dr. Agarwal’s Group of Eye Hospitals di Chennai, in India. La Dottoressa Jacob ha all’attivo più di 120 pubblicazioni peer reviewed, più di 200 capitoli in 34 libri di testo, nonché figura di riferimento per numerosi giornali del settore come il JCRS e EuroTimes. La sua elezione a Presidente rappresenta il coronamento di una carriera di altissimo livello. “Invito con gioia ogni chirurgo del segmento anteriore a fare parte di questo viaggio assieme, unitevi all’ISRS e imbarchiamoci verso un nuovo capitolo di grande impatto e d’eccellenza dell’oftalmologia globale”, ha affermato Jacob.
Approfondimenti
GLAUCOMA E TRABECOLATO: LA SVOLTA TERAPEUTICA DI LATANOPROST E NETARSUDIL
Due principi attivi, un solo obiettivo: abbassare la pressione intraoculare agendo sul deflusso dell’umor acqueo
Intervista al Professor Michele Figus, Università di Pisa
TTalvolta, anche le strutture più piccole dell’occhio possono fare la differenza. Agire su queste può migliorare il trattamento di patologie che pongono vere e proprie sfide. È questa la potenzialità del trabecolato nel glaucoma, che per anni non è stato il bersaglio di terapie mirate, ma che invece ha una funzione cruciale, quella di costituire la via principale di drenaggio dell’umore acqueo.

Da circa un anno e mezzo è entrata in commercio nel nostro Paese una combinazione fissa di latanoprost, un analogo delle prostaglandine, e netarsudil, un inibitore delle Rho chinasi, che agisce proprio sul trabecolato per abbassare l’ipertono intraoculare, non limitandosi ad agire sulla produzione di umore acqueo o sul deflusso uveo sclerale. Del ruolo fondamentale del trabecolato nella gestione del glaucoma e dei vantaggi e dell’esperienza di questa nuova combinazione fissa abbiamo parlato con il Professor Michele Figus, Ordinario di Malattie dell’Apparato Visivo all’Università di Pisa.
UN’AZIONE MIRATA SUL
TRABECOLATO
“Il trabecolato è il punto dove ha origine l’aumento della pressione intraoculare, che avviene per un aumento della resistenza al deflusso dell’umore acqueo dall’occhio”, specifica Figus. Le cellule trabecolari, come spiega Figus, sono cellule endoteliali e come altre vanno incontro ad apoptosi.
Agire nelle fasi precoci del glaucoma cercando di rallentarne il processo d’invecchiamento può davvero aiutare a prevenire un danno più esteso per la vista del paziente. “Contrastare l’apoptosi e l’irrigidimento delle cellule trabecolari aiuta a prevenire l’irrigidimento delle maglie trabecolari, che è quello che porta poi all’aumento cronico della pressione intraoculare”, aggiunge Figus. La combinazione fissa latanoprost-netarsudil risponde esattamente a questa esigenza e agisce con una duplice modalità per abbassare la pressione intraoculare. “Da una parte rilassa il citoscheletro delle cellule endoteliali del trabecolato e quindi aumenta il deflusso trabecolare e dall’altro porta a un rilassamento delle vene episclerali, che si vasodilatano con un effetto di iperemia non infiammatoria a livello congiuntivale e che comporta una minore resistenza a valle al deflusso dell’umore acqueo”, spiega Figus. La combinazione fissa latanoprost e netarsudil trova il suo miglior razionale d’impiego nei pazienti con glaucoma proprio perché va a migliorare il deflusso, in modo simile alla chirurgia. “In tutti gli interventi chirurgici si aumenta il deflusso andando a creare degli shunt, o tubi che portano l’umore acqueo fuori dall’occhio in vari punti. Andare ad agire per via farmacologica nelle fasi pressoché iniziali della malattia crea il razionale più forte”, afferma il Professor Figus.
Professor Michele Figus

EFFICACIA E SICUREZZA
La combinazione fissa latanoprost/ netarsudil ha dimostrato un solido profilo di efficacia e sicurezza, confermato dagli studi clinici e nella pratica. Secondo Figus, si tratta di una combinazione di due molecole molto potenti nell’abbassare la pressione intraoculare. Tuttavia, è una combinazione di farmaci che vengono utilizzati principalmente in seconda linea per raggiungere la pressione target. “I pazienti ideali sono quelli che hanno ancora un citoscheletro trabecolare più responsivo, elastico e meno danneggiato e che quindi sono ancora nelle fasi iniziali, ma non naive”, afferma Figus. Nonostante efficacia e sicurezza, alcuni pazienti possono essere infastiditi dall’aspetto arrossato dell’occhio, dovuto all’iperemia non infiammatoria che segnala la vasodilatazione. “Non è un vero e proprio effetto collaterale, ma
alcuni pazienti possono gradirlo meno e discontinuano il trattamento. Altri pazienti invece, che danno più importanza all’abbassamento della pressione intraoculare, accettano questo leggero effetto”, spiega.
PARLARE CON IL PAZIENTE
Secondo Figus, è importante capire bene quali sono le esigenze dei pazienti e informarli su tutti gli aspetti di una malattia cronica come il glaucoma. “Il paziente va educato su quella che è la malattia, le sue conseguenze e i punti di forza o debolezza di ogni terapia a nostra disposizione, da quella farmacologica a quella parachirurgica e chirurgica. Deve sapere che è una malattia cronica e che ci possono essere alti e bassi, così come deve conoscere il razionale nella scelta dei farmaci o dei trattamenti suggeriti”, spiega. Anche nella prescrizione di un
farmaco come la combinazione fissa latanoprost/netarsudil, il clinico dovrebbe capire quali sono le aspettative del suo paziente. “Parlare con i pazienti ci consente di capire come agire e a cosa dare maggiore importanza, anche quando si parla di superficie oculare”, afferma. “Un solido dialogo con il paziente è alla base della cura del glaucoma perché aumenta l’aderenza alla terapia e quindi la gestione della malattia. Non vale solo per l’utilizzo di questi farmaci, ma per il glaucoma in generale”, conclude. Nella gestione del glaucoma, dunque, la combinazione fissa latanoprost/netarsudil si conferma una strategia terapeutica efficace e ben tollerata nel controllo della pressione intraoculare, e rappresenta un’opzione promettente per migliorare gli esiti clinici, con un impatto positivo sulla qualità della vita dei pazienti.
di Laura Gaspari
Approfondimenti
IL RUOLO CHIAVE DELL’EDUCAZIONE DELLA CATARATTA
Una comunicazione chiara ed empatica con il paziente migliora l’adesione al trattamento, riduce l’ansia preoperatoria e favorisce un recupero più sereno e consapevole1,2
LLa chirurgia della cataratta rappresenta oggi una delle procedure più sicure ed eseguite al mondo, con elevati tassi di successo e rapidi tempi di recupero. Tuttavia, nel contesto clinico quotidiano, è fondamentale ricordare che l’efficacia dell’intervento non si misura soltanto in termini di outcome visivo, ma anche nella qualità del rapporto medico-paziente. Un’informazione chiara, personalizzata e comprensibile non solo migliora l’aderenza terapeutica, ma riduce ansia preoperatoria, gestisce le aspettative e contribuisce alla soddisfazione del paziente. In un’epoca in cui la medicina si fa sempre più centrata sulla persona, l’informazione

non è un accessorio: è parte integrante dell’atto terapeutico. Come ha rilevato l’indagine “Alcon Eye on Cataract”, promossa da Alcon e condotta in 10 Paesi - tra cui l’Italia - e che ha coinvolto più di 7.000 pazienti, vi è una bassa conoscenza del tipo di operazione e in cosa consiste. Secondo l’indagine di Alcon, infatti, nel nostro Paese solo il 38% degli intervistati è a conoscenza delle varie opzioni che si presentano al paziente.3
I nuovi tool digitali e un più esteso accesso alla rete da parte di quasi tutta l’utenza possono supportare una corretta informazione del paziente sui vantaggi dell’intervento di cataratta. Tra social media e siti divulgativi, è ora più facile far comprendere al paziente quanto la chirurgia della cataratta sia importante, sicura e veloce, con ridotte probabilità di errori o complicazioni. Può capitare infatti che i pazienti si sentano intimoriti o in ansia per la chirurgia, o che erroneamente credano a falsi miti letti in giro, specialmente su Internet.
Una possibilità per ovviare a questi problemi è nell’uso di risorse online e tool digitali, come il sito MyAlcon.com per pazienti, che forniscono un supporto non solo al paziente, che può trovare tutte le informazioni di cui ha bisogno per conoscere l’intervento che andrà a fare, ma soprattutto all’oculista, che se ne può avvalere per facilitare la comunicazione. Esistono strumenti di simulazione visiva che possono aiutare il chirurgo a spiegare come i funzionano i vari tipi di IOL, mostrando visivamente le differenze tra

esse, in modo da poter dimostrare in maniera chiara ed efficace ciò che c’è da aspettarsi dopo l’intervento. Infatti, far capire qual è l’impatto sulla guida, la lettura, il giorno e la notte riesce a indirizzare meglio quella che è l’aspettativa finale. Il chirurgo può avvalersi anche di questionari da sottoporre al proprio paziente per meglio inquadrare il suo stile di vita e le sue esigenze. Anche nel preoperatorio e postoperatorio è importante che il paziente sia informato delle buone norme di comportamento da seguire per evitare complicanze, grazie anche a guide, flipbook e flyer creati appositamente e che il chirurgo può implementare come supporto. Molti chirurghi e medici oculisti oggigiorno sono presenti sui social, in modo da avvicinarsi ancora di più all’utenza. Anche questo può essere usato per fare buona informazione grazie anche alla presenza di video o post senza brand di prodotto, in modo da essere efficaci e capaci di raggiungere una buona fetta di pazienti. Le risorse
online sono anche fondamentali per i medici stessi per tenersi in aggiornamento, come Alcon Experience Academy, una piattaforma online con contenuti informativi, corsi e training per specialisti. Inoltre, nel prossimo futuro, sarà disponibile anche la piattaforma di Alcon ADI, presentata per la prima volta all’ASCRS 2025, che permetterà l’acquisto direttamente online dei prodotti da parte dei medici chirurghi e facilitare l’approvvigionamento di materiali. Siamo nell’epoca in cui la tecnologia sta indubbiamente rivoluzionando ogni aspetto della medicina. Per questo motivo i tool digitali si affermano come alleati fondamentali anche nella chirurgia della cataratta, sia per i chirurghi che per i pazienti. Investire in soluzioni digitali accessibili e affidabili significa quindi non solo migliorare gli esiti clinici, ma anche costruire un dialogo più consapevole e partecipativo tra medico e paziente. La sfida ora è rendere queste tecnologie parte inte-
grante della pratica quotidiana, affinché l’innovazione si traduca in reale beneficio per tutti, in primis per la salute e la vista dei pazienti.
BIBLIOGRAFIA
1. Nørgaard B. Communication with patients and colleagues: An intervention study on the impact of a communication skills training course on health care professionals’ ability to communicate with patients and colleagues. Danish Medical Bulletin. 2011
2. Yu Fu et al. Influences of Acknowledge Introduce Duration Explanation Thank You and Pendleton-based Consultation Mode on Outpatient Visit. Alternative Therapies in Health and Medicine. 2023. PMID: 37773664.
3. Alcon Eye on Cataract Survey. Per la lista completa di indicazioni, controindicazioni e avvertenze fare riferimento alle istruzioni per l’uso o ai manuali di istruzioni d’uso dei rispettivi prodotti. Visitate il sito Alcon https:// ifu.alcon.com/ per importanti info di prodotto. © 2025 Alcon Inc. 09/25 IT-CAT-2500012
di Laura Gaspari
Approfondimenti
OCULISTICA DIGITALE, UNO SGUARDO AL FUTURO
Tecnologia e innovazione al servizio della pratica clinica
Intervista al Professor Claudio Azzolini, Già Direttore Clinica
Oculistica e attuale Advisor in e-Health e Telemedicina
Università degli studi
Qdell’Insubria, Varese - Como; LegaleTm95rappresentante Srl - Milano
Negli ultimi anni, il mondo dell’oftalmologia ha assistito a una vera e propria rivoluzione grazie all’integrazione di tecnologie avanzate, intelligenza artificiale e soluzioni digitali. Dalla diagnosi precoce delle patologie oculari alla chirurgia assistita da robot, fino alle piattaforme di telemedicina, l’innovazione sta ridefinendo il modo in cui curiamo e preserviamo la vista in
una delle specialità più digitalizzate nel campo medico. Il Professor Claudio Azzolini ha visto la nascita di questa rivoluzione, applicandosi in numerosi progetti di medicina digitale, sempre al passo con l’innovazione. In questa intervista per EyeSee, il Professor Azzolini ci ha dato un quadro generale della medicina digitale in oftalmologia, i benefici sulla


Professor Claudio Azzolini
Figura 1. Utilizzo di software digitali in oculistica. Due differenti immagini in tempi differenti sono sovrapposte con precisione per trasparenza come visibile dagli anelli bianchi (in alto). Valutazione dei cambiamenti morfologici della chiazza di atrofia maculare all’interno degli anelli bianchi (in basso).

Figura 2. Valutazione biomarkers retinici con filtri specifici e AI: a) Selezione di scan di degenerazione maculare intermedia da qualunque apparecchiatura OCT (previa segnalazione caratteristiche) caricato sul modulo easyoct.net della piattaforma Eumeda® su server in rete; b) Ricerca semiautomatica regione foveolare; c) Elaborazione delle immagini con filtri e algoritmi di segmentazione, riconoscimento, visualizzazione e misurazione dei biomarkers; d) Elaborazione ponderale dei biomarkers unitamente ad altri parametri e previsione dell’andamento malattia nel tempo. Queste procedure sono utili al medico per riconoscere e misurare i biomarkers retinici e seguirli nel tempo in modo comparativo, al medico inesperto per imparare e al paziente per conoscere meglio la sua malattia.
diagnostica, l’efficacia delle cure, l’accesso ai servizi, ma anche le sfide e le problematiche che ne conseguono.
Qual è l’attuale ruolo della salute digitale e come si sta espandendo? Chiarisco alcuni termini. Secondo l’Organizzazione Mondiale della Sanità, “Salute Digitale” o “e-health” consiste nell’uso delle tecnologie dell’informazione e della comunicazione (ICT) a beneficio della salute umana, come ad esempio i centri di prenotazione ospedaliera, la softwaristica per apparecchiature diagnostiche o terapeutiche e l’archiviazione e gestione interattiva
di dati clinici e immagini mediche. Un sottogruppo dell’e-health è rappresentato dalla telemedicina ovvero l’insieme di servizi sanitari in cui, grazie all’utilizzo di tecnologie innovative, il professionista sanitario e il paziente non si trovano nello stesso luogo. Il termine telemedicina è polisemico, cioè con molteplici aspetti come televisita, telemonitoraggio, telerefertazione, teleconsulto tra operatori sanitari, telehomecare e altri. Ogni aspetto ha le sue peculiarità talvolta senza confini netti fra loro. I dispositivi di “Internet of Thinks” (IoT) a basso costo quali sensori indossabili di vario
tipo migliorano significativamente il monitoraggio remoto dei pazienti. La telemedicina ha una lunga storia in alcuni paesi, ma ha registrato una rapida diffusione a livello mondiale a partire dall’era della pandemia di COVID-19.
Quando nasce il suo interesse per la medicina digitale?
Nasce nel 1997 quando l’allora Presidente dell’Ospedale San Raffaele, don Verzè, mi mise a disposizione una piccola struttura con bravi tecnici e un accesso a un satellite ESA per eseguire collegamenti audio e video con l’ospedale di Sarajevo. Assistevamo giovani medici nella chirurgia vitreoretinica post-traumatica nella Bosnia postbellica. Creai un software per cartelle cliniche elettroniche, allora una novità. È storia, ora i collegamenti tra sale operatorie e scambi di dati clinici sono comuni. Da allora il mio interesse per l’informatica medica è proseguito di pari passo con la mia professione di oculista, chirurgo vitreoretinico e Professore ordinario universitario.
E poi?
Ho fondato nel 2001 la piattaforma informatica Eumeda® (eumeda.net) per venire incontro ai bisogni dei medici e dei pazienti e nel tempo abbiamo pubblicato le nostre esperienze. Abbiamo iniziato in oculistica con progetti ospedale-territorio per operatori sanitari, database personalizzati, connessione strutture, second opinion e insegnamento. Ora realizziamo progetti di vario tipo anche per molte altre specialità della medicina.
Come vi finanziate?
Agli inizi l’associazione no-profit Comed (Comunicazione in medicina) riceveva donazioni principalmente da industrie farmaceutiche interessate ai progetti. I crescenti impegni burocratici e amministrativi ci hanno indotto anni fa a fondare la società Tm95 Srl (tm95.net). Gestiamo i nostri progetti di software sanitari e telemedicina con un team di ingegneri informatici e programmatori professionisti. Negli anni ogni progetto è stato finanziato dal suo committente quali Università italiane, Ospedali, aziende farmaceutiche, privati o associazioni no profit quali Vision+ Onlus, Fondazione Retina 3000 o Retina Italia ODV.
Esempi di progetti realizzati da voi? Ne abbiamo realizzati svariati per mol-
di Laura Gaspari
Approfondimenti

te realtà sanitarie pubbliche e private. In medicina digitale abbiamo sviluppato anni fa una cartella clinica elettronica condivisa di pazienti affetti da malattia genetica oculare RPE65 per quattordici strutture italiane coordinate dalla Professoressa Francesca Simonelli di Napoli. E’ in preparazione uno studio simile sulla mutazione del gene USH2A. Abbiamo sviluppato utili software di comparazione nelle maculopatie (Fig. 1) e stiamo testando e migliorando un nuovo repository immagini OCT in rete per la valutazione dei biomarkers (segni di malattia o di risposta a un trattamento) e loro importanza prognostica con intelligenza artificiale in collaborazione, fra gli altri, con l’ingegnere elettronico specialista in biomedica Alessandro Orro del CNR (Fig. 2). Abbiamo inoltre sviluppato progetti in altri campi come l’urologia, la ginecologia, l’otorinolaringoiatria e l’odontoiatria, quelli degli ultimi dieci anni sono riportati su JMIR Medical Informatics del 2024 reperibile su Pubmed.
In telemedicina abbiamo realizzato un software per second opinion operativo presto fra l’ospedale Andasibe in Madagascar e specializzandi lombardi voluto dall’associazione Vision+ Onlus (Fig. 3). In questi Paesi occorre anche “tropicalizzare” la strumentazione diagnostica già consegnata, nonché gli hardware, perché possano funzionare a eccessive temperature e umidità. Cerchiamo di sviluppare la telehomecare che cambierà le nostre abitudini, ad esempio una tonometria oculare sarà eseguita a casa con idonea strumenta-
zione portatile già disponibile limitando gli accessi in ospedale (Fig. 4).
Come nasce un progetto di medicina digitale o di telemedicina?
Ogni progetto deve essere customizzato e ben strutturato con il proprio database. Nell’ambito dell’implementazione, una chiara pianificazione preventiva è fondamentale affinché il software di base soddisfi le aspettative dell’operatore sanitario. A volte è meglio progettare e acquistare un software preventivo customizzato per verificarne il funzionamento, deducendone poi il costo dal valore del software finale. Esperti professionisti in campo digitale e medici devono assolutamente lavorare fianco a fianco, ognuno deve beneficiare delle conoscenze dell’altro, altrimenti la tecnologia può portare complessità invece di nuove funzioni. Il direttore di ogni progetto deve essere una persona con competenze mediche e tecnologiche.
Difficoltà burocratiche?
Sono molte sia nella medicina digitale in genere sia nella telemedicina. La medicina digitale evolve continuamente, e occorrono validi professionisti che sappiano risolvere le varie sfide tecnologiche. Dal punto di vista regolatorio vi sono vari doveri: registrazione europea delle piattaforme, copyright, marchio CE, aderenza al GPDR sulla protezione dei dati personali e nel caso di intelligenza artificiale aderenza al recente protocollo AIA europeo. Alcuni obblighi sono autocertificati dal
produttore o fornitore dei servizi che però deve presentare documenti idonei su richiesta, altri hanno bisogno di ottenere permessi specifici. Le tante, troppe normative europee limitano lo sviluppo di nuove idee e progettualità. Nei progetti di Università e Ospedali vi sono inoltre incertezze dei vari comitati etici a valutare progetti con forte background culturale “di rete”. L’avvento delle video-call e di varie forme di telemedicina innescate dall’epidemia COVID-19 ha reso necessaria una regolamentazione ancora in corso. La piattaforma di telemedicina su base nazionale commissionata a grandi aziende e presentata dall’Agenzia Nazionale per i servizi sanitari Regionali (Agenas) a Roma il 4 febbraio scorso e la sua operatività come struttura base per funzioni di standard comuni è ancora in fase di esecuzione. Attualmente valgono quindi le regole base della sicurezza e privacy per medici e pazienti sia sui lati server che procedurali.
Stanno evolvendo le tecnologie in questo campo?
Molto e rapidamente. Sappiamo come la vita media di un software duri due-tre anni, poi diventa obsoleto e incapace di acquisire i necessari aggiornamenti con nuovi programmi operativi. Tuttavia, l’ingegnere Andrea Falco di Milano, nostro riferimento per i database, sottolinea come la ricerca del benessere del paziente debba essere al centro di qualsiasi logica di modellazione diagnostica e predittiva, non è una gara tra software house. Il ruolo dei database è fondamentale, oggi si è finalmente capito che anche in medicina l’accesso e la visualizzazione dei dati sono garantiti da piattaforme web, accessibili ovunque senza l’installazione di alcun software aggiuntivo. Per soddisfare le esigenze di flessibilità, spesso il cuore di un progetto informatico gestisce le varie strutture in modo indipendente, più o meno come i mattoncini “Lego”.
I database di ultima generazione si basano su vari pilastri fondamentali. Sono necessari rapidi accessi e visualizzazioni nonché caricamento di dati e immagini di grande peso in modo semplice e intuitivo in pochi secondi. La ricerca dati e qualunque valutazione statistica, una volta programmata, è disponibile attraverso la parzializzazione delle voci di dati che consente a ogni interrogazione di trovare una
Figura 3. Collegamenti di second opinion fra operatori sanitari tramite idoneo software di telemedicina integrato con le strumentazioni diagnostiche.
veloce risposta. La sicurezza dell’archiviazione dei dati è garantita da server certificati di ultima generazione, replicazione dati su data center separati, frequenti backup con vari punti di ripristino, chiavi di accesso e speciali algoritmi che uniscono i dati personali crittografati con i dati clinici solo al momento dell’accesso al servizio.
Quale è il ruolo dell’intelligenza artificiale in medicina digitale?
Il termine “Artificial Intelligence” (AI), coniato nel 1956, necessita di una precisazione. “Intelligence” si riferisce alla raccolta e all’interpretazione di dati. “Artificial” significa che i dati sono prodotti da molteplici fonti in modo impersonale e sintetico. Di qui il nome intelligenza artificiale, con tutte le sue attuali possibilità, ma non possiamo immaginare l’AI come qualcosa che sostituisce i medici, la decisione finale per ora spetta sempre al medico. L’AI interpreta i database di informazioni mediche con il potenziale di migliorarne l’accuratezza, l’efficienza e l’interpretazione dei dati. Modelli di AI addestrati su set di ampi dati possono migliorare notevolmente la velocità delle diagnosi, in particolare per l’imaging medico. Sfruttando le informazioni della AI, i piani di trattamento possono essere personalizzati in base alle condizioni specifiche di ciascun paziente, avvicinandosi al concetto di terapia customizzata e medicina di precisione. Viene inoltre ottimizzato l’utilizzo delle risorse sanitarie. È importante sottolineare che il risul-
tato di un processo di AI deve essere validato, analogamente alle tre fasi di studio che precedono l’immissione di un farmaco in commercio. È un processo di comparazione uomo-macchina lungo e difficile. Inoltre l’AI generativa si basa spesso su set di dati assemblati da altri tipi di AI, e quindi a maggior ragione l’output finale deve essere verificato e approvato.
Occorre attenzione all’utilizzo della AI?
Il processo di AI è responsabile dell’analisi dei dati esistenti a una velocità che è di gran lunga superiore a quella di un essere umano, ma non ha la capacità di immaginare possibili eccezioni al di là dell’elaborazione dei dati esistenti e non crea empatia tra medico e paziente. Occorre controllare il processo algoritmico e la qualità dei dati provenienti da un’ampia varietà di fonti, la cui origine dovrebbe provenire solo da fonti “esperte” e non da dati non tracciati.
Il confronto incrociato tra popolazioni di pazienti con stesse comorbilità identifica modelli di diagnosi e cura basati sui dati, ma il confronto deve essere bilanciato con la consapevolezza che ogni paziente è unico. Questo approccio garantisce che l’AI supporti una pianificazione terapeutica equa, senza un eccessivo affidamento su trend storici che potrebbero non essere universalmente validi.
L’ingegnere Francesco Oggionni, Responsabile dei Servizi Dati e delle Piattaforme di Intelligenza Artificiale
presso il Global Innovation Center di Sanofi a Barcellona, con cui collaboriamo attivamente, sta guidando lo sviluppo di un nuovo algoritmo basato sui Visual Transformers. Questa architettura consente di analizzare un’immagine medica come una sequenza di porzioni (patches) e di modellarne in modo dinamico l’evoluzione temporale. In particolare, permette di identificare e seguire nel tempo specifici biomarcatori rilevanti per la diagnosi e il monitoraggio clinico. Nel caso delle maculopatie, ad esempio, questa tecnologia consente di passare da un approccio reattivo a uno proattivo, abilitando la predizione della progressione della malattia. È un cambiamento di paradigma: si passa dal triage alla pianificazione, da una visione statica a una prospettiva temporale (Figura 2). Di particolare rilievo è anche l’adozione di una “Federated AI Architecture”, una progettazione distribuita che permette l’elaborazione dei modelli direttamente in locale, anche in assenza di connessione a Internet, offrendo importanti vantaggi in termini di privacy e sicurezza dei dati.
A livello internazionale vi sono indicazioni particolari?
Tra gli Obiettivi di Sviluppo Sostenibile (SDG) dell’agenda ONU l’obiettivo SDG3 mira a garantire la salute e promuovere il benessere per tutti, a tutte le età e con l’aiuto della medicina digitale (Fig. 5). In questo contesto si tengono in primavera a New York presso la sede delle Nazioni Unite le

in rete. Il database fornisce all’oculista
Figura 4. Tonometria eseguita da casa e inserimento dati in cartella clinica elettronica dedicata
le informazioni utili per la cura da remoto.
Approfondimenti

Figura 5. L’Agenda 2030 delle Nazioni Unite è un piano globale che definisce 17 Obiettivi di Sviluppo Sostenibile (SDGs) interconnessi. Gli obiettivi puntano a un equilibrio tra le dimensioni economiche, sociali e ambientali dello sviluppo, richiedendo la collaborazione di governi, imprese e cittadini per un futuro più equo e sostenibile. Fra questi l’SDG3 riguarda la salute.
conferenze dell’“Observatory on Digital Communication” fondato dall’architetto Pierpaolo Saporito e trasmesse in world streaming sul canale UN. Le specialità mediche con molto imaging come l’Oculistica sono apripista in questo settore.
Sono stati presentati alle conferenze ONU progetti operativi e interessanti in sanità digitale?
In questo contesto ho avuto l’onore e il piacere di organizzare e moderare nell’ultimo triennio tavole rotonde in presenza coinvolgenti ingegneri e medici alla ricerca di prospettive e traguardi comuni in tutti i settori della Sanità. Ci siamo confrontati su luci e ombre di vari progetti di medicina digitale e telemedicina. Quest’anno Don D’Amico di New York ci ha esposto un programma di screening nella sua città per la retinopatia diabetica eseguito con semplici componenti aggiuntivi per iPhone e stampati in 3D. Ci ha riferito anche di un programma di second opinion oculistico in Tanzania e delle molte difficoltà, come ad esempio la mancata disponi-
bilità di un semplice fusibile di un dollaro che aveva bloccato l’attività.
Anat Loewenstein di Tel Aviv ci ha riferito del suo programma di telehomecare nelle maculopatie, sottolineando come circa due terzi dei pazienti non aderisca correttamente alle cure per il disagio dei molti accessi alle strutture sanitarie. Nel suo programma il paziente esegue una scansione OCT in casa con idonea strumentazione portatile, l’AI analizza tutte le immagini sul cloud quantificando tramite una mappa la presenza di specifiche lesioni retiniche e inviando una notifica al medico che decide se chiamare il paziente in ospedale per il trattamento.
Antony Capone di Royal Oak nel Michigan è un pioniere nel campo dell’assistenza nei paesi emergenti nella retinopatia del prematuro. La storia dell’utilizzo della telemedicina nella gestione della retinopatia del prematuro è istruttiva per tutte le discipline mediche. Il suo software diagnostico “intelligente” trasmette alcuni degli elementi diagnostici critici che permettono anche a coloro con conoscenze
cliniche limitate di diagnosticare e curare correttamente la malattia in molti paesi quali Mongolia, Nepal, Haiti e, più recentemente, India. Ha sottolineato come la telemedicina aiuti a superare il “divario digitale geografico” fra le nazioni, occorre lavorare insieme e ha citato una frase di Helen Keller “Da soli possiamo fare così poco, ma insieme possiamo fare così tanto”.
Antoine Geissbühler di Ginevra ci ha illustrato gli sviluppi della rete formativa “Réseau en Afrique Francophone pour la Télémédecine” (RAFT), sviluppata negli ultimi venti anni e che coinvolge oltre trecento ospedali che interagiscono quotidianamente fra loro. L’obiettivo è assistere gli operatori sanitari in contesti remoti principalmente nell’Africa subsahariana, ma la rete è stata estesa anche in altri luoghi remoti della Bolivia e dell’Asia centrale. I dati degli esami strumentali trasmessi a centri operativi sono essenziali per valutare se ricoverare un paziente o trattarlo in loco. Il fondatore ritiene essenziale formare gli esperti in loco perché ci sono molti aspetti locali da considerare in termini di procedure e

Aderisci anche tu

In omaggio il kit essenziale per la gestione della presbiopia
Il kit contiene:
Manuale “La compensazione della presbiopia con lenti progressive: oftalmiche e a contatto”
Opuscolo “Le principali cause di perdita della vista”
Opuscolo “Lenti Progressive: vedere bene, a ogni distanza”
Ricettario
Modulo di accompagnamento al medico oculista
Scopri di più su
www.osservatoriopresbiopia.com info@fgeditore.it
Approfondimenti
strumenti diagnostici disponibili. Sta collaborando con l’Organizzazione Mondiale della Sanità con sede a Ginevra ed è stato coinvolto in diverse risoluzioni mirate alla telemedicina.
La medicina digitale è utile anche nella prevenzione?
Certo. La Dottoressa Claude Boscher, già retinologa dell’Ospedale Americano di Parigi, ci ha introdotto nel campo della prevenzione delle malattie croniche degenerative come la maculopatia legata all’età. Ha sottolineato la sua esperienza con un ampio database dedicato che evidenzia i fattori di rischio che, dopo lunga latenza, determinano invecchiamento e malattie. Tali fattori di rischio sono molteplici e possono essere presenti in tutti gli apparati del corpo umano, come ad esempio parodontite, disfunzioni digestive ed ormonali, infezioni croniche o mancanza di sonno. D’altra parte sappiamo dall’oculomica che la retina, estensione del cervello e specchio della salute dell’intero organismo, manifesta biomarkers di moltissime malattie generali quali le malattie vascolari o la malattia di Alzheimer, occorre cercarli. I medici, oberati da molto lavoro, hanno poco tempo da dedicare alla prevenzione e si spera che, con l’aiuto dell’informatica, della AI e della medicina quantistica sia giunto il momento di tornare a rivalutare la fisiopatologia.
Come si giudica un progetto di telemedicina?
Il Professor Simone Donati, direttore della Scuola di Oftalmologia di Pavia e del servizio di oftalmologia pediatrica di Varese, ci ha sottolineato come la governance della telemedicina debba garantire diversi aspetti: normativa agli standard qualitativi e tecnologici, sicurezza, conformità legale, costi accettabili e, allo stesso tempo, grande attenzione all’assistenza al paziente. Si è soffermato sull’esperienza di molti progetti sviluppati con Eumeda® (Fig. 6) e sui quattro indicatori di governance ideati: (i) accesso, cioè capacità di pazienti e operatori sanitari di accedere in rete alla piattaforma di telemedicina, (ii) accettabilità, cioè grado di fruibilità delle procedure informatiche, (iii) qualità dei dati, cioè l’accurata trasmissione e gestione di dati e immagini (iv) efficacia medica, cioè valutazione sul reale miglioramento della salute e sul sovra-sottouso delle procedure utilizzate.
Queste nuove tecnologie sono facilmente raggiungibili per tutti?
Sì, ma in tempi non brevi. Occorre accettare il cambiamento e formare operatori sanitari che utilizzino le nuove tecnologie. Le università dovranno realizzare insegnamenti di informatica medica. L’AI determina una trasformazione culturale che deve definire concretamente come deve essere utilizzata, progettata e integrata nel contesto clinico. Sono richiesti collaborazione e investimenti costanti mentre il capitale umano è l’elemento più critico.

Le problematiche medico legali sono molte, vero?
Sì, l’avvocato Valter Santarossa di Pordenone ritiene che fra queste la prima sia la responsabilità del medico. E’ opportuno sottolineare che alla telemedicina si applicano le stesse regole della medicina tradizionale, sebbene presenti rischi specifici e diversi dovuti alla complessità, innovatività e alla sofisticatezza delle tecnologie utilizzate. Il medico deve utilizzare con cautela l’utilizzo di modalità di lavoro innovative, evitando nel contempo il ricorso alla cosiddetta “medicina difensiva”.
Un aspetto problematico poi, derivante dalla partecipazione di più operatori nel processo di diagnosi e cura, riguarda l’individuazione e la ripartizione della responsabilità tra i diversi professionisti coinvolti quali, oltre ai medici, i produttori e fornitori degli apparati e delle tecnologie telematiche, il centro servizi che li gestisce e la struttura sanitaria che eroga il servizio.
Una questione importante riguarda la privacy, la sicurezza informatica e la raccolta e gestione dei dati. Ogni paese ha le proprie leggi sulla protezione dei dati, come il Regolamento Generale sulla Protezione dei Dati (GDPR) nell’Unione Europea e l’Health Insurance Portability and Accountability Act (HIPAA) negli Stati Uniti, che stabiliscono standard rigorosi per la gestione delle informazioni personali. Operando a livello internazionale occorre seguire il percorso tracciato dall’Organizzazione Mondiale della Sanità che, nelle Linee Guida del 15 luglio 2024 contenenti “Strumento di supporto per rafforzare la telemedicina”, intende rafforzare i servizi di telemedicina, una tecnologia che ha dimostrato la sua importanza durante la pandemia di Covid-19 e che sarà fondamentale nell’assistenza sanitaria futura.
Come si sosterranno i progetti di medicina digitale?
Le barriere d’ingresso del passato (scarsa affidabilità, poca velocità e costi delle telecomunicazioni) sono state superate, è ora necessario trovare soluzioni a nuove difficoltà quali l’organizzazione, il reperimento di risorse e, soprattutto, la volontà politica di costruire progetti sostenibili anche in Oftalmologia. Sono necessari prima di tutto un progetto definito e la sua realizzazione, ma marketing e finanza giocano poi un ruolo chiave. In sostanza, serve un progetto che includa una forza propulsiva in grado di concepire, implementare,
Figura 6. Sedi di progetti di medicina digitale e telemedicina in oculistica e in altre specialità della medicina negli ultimi 25 anni utilizzando la piattaforma Eumeda®.
SANITÀ DIGITALE


INNOVAZIONE





Approfondimenti

aggiornare e innovare sistematicamente il progetto stesso, un cosiddetto ecosistema dell’offerta che contribuisca alla creazione dei prodotti che ne fanno parte e alla loro diffusione e, infine, un mercato pronto ad accoglierlo, ovvero i clienti finali in grado di comprenderne il valore e di pagarne il prezzo. Se questo nucleo minimo di condizioni di base non si verifica, rimaniamo, senza nulla togliere alla qualità scientifica e accademica dei progetti realizzabili, in un ambito purtroppo artigianale e come tale vulnerabile a numerose difficoltà (competitors, organizzazione, burocrazia, cultura di rete, costi). Per superarle, gli sforzi dei singoli innovatori non sono sufficienti se non opportunamente incanalati e integrati in progetti industriali come ci sottolinea l’ingegnere Umberto Paolucci già Presidente di Microsoft Europa e fondatore della sede italiana. Occorre sensibilizzare gli investitori, ogni progetto può portare forti ricadute sociali ed economiche ma occorre una nuova visione della sanità nel medio termine, specie nei paesi in via di sviluppo. I decisori e i politici purtroppo prediligono progetti con ricadute a breve termine. Inoltre le barriere d’entrata (Fig. 7) ai progetti di medicina digitale e telemedicina sono molte, primo fra tutti la scarsa propensione dei medici non più giovani a cambiare radicate abitudini.
Quale è il messaggio finale della sua esperienza?
La medicina digitale e la telemedicina sono sicuramente il futuro. Sappiamo bene come l’invecchiamento della popolazione e l’aumento delle malattie
croniche obbligheranno a un cambiamento. L’assistenza sanitaria non sarà come la conosciamo noi oggi. Nella Real Life dobbiamo trovare nel prossimo decennio una sorta di soluzione ibrida: la sanità che conosciamo unita alla sanità digitale. La sfida è di integrare fra loro esseri umani con la loro empatia, operatori sanitari che matureranno una coscienza di medicina digitale e strumenti informatici a supporto. Solo così si realizzeranno efficienti programmi di Ospedale-territorio e di algoritmi efficaci nella diagnosi e cura delle malattie. La telemedicina contemporaneamente si evolve insieme alla medicina digitale, e mi ha fatto piacere vedere un’immagine di un medico della NASA “olotrasportato” nella ISS in orbita che colloquiava con gli astronauti come preconizzato in Star Trek. Se occorresse un oculista mi piacerebbe essere a bordo. Per contro dobbiamo superare gli ostacoli strutturali, i limiti di sicurezza, le difficoltà di validazione dei progetti e il fatto che circa un terzo della popolazione mondiale attualmente non ha accesso al web.
Ho iniziato a operare con uno dei primi microscopi operatori e senza guanti chirurgici prima della loro obbligatorietà e ho contribuito a tutta l’evoluzione spettacolare della chirurgia vitreoretinica. Dico ai miei pazienti che solo venti anni fa non mi sarei immaginato di cosa si potesse fare oggi per la loro retina. Allo stesso modo stento a immaginare come sarà la medicina del futuro.
La medicina digitale e la telemedicina sono relativamente nuove e non è faci-
le ottenere i risultati desiderati. E’ però gratificante raggiungerli nonostante vi siano molte variabili che mutano rapidamente. L’ingegner Oggionni ha citato a New York alla conferenza ONU una frase del poeta spagnolo Antonio Machado che riassume bene questo concetto: “Non esiste un sentiero su cui camminare, il sentiero si fa camminando”.
Bibliografia:
1 Azzolini C MD, Premi E MD, Donati S MD et al. Ten Years of Experience With a Telemedicine Platform Dedicated to Health Care Personnel: Implementation Report. JMIR Med Inform, 2024;12:e42847:1-14.
2 Azzolini C MD, Boscher C MD, Capone AJr MD FACS et al. Inclusive and Accessible Implementation of Telemedicine: Insights from the United Nations International Expert Roundtable. Health Informatics Journal, 2025;31:1-14.
3 XXIII Infopoverty World Conference “A.I. turmoils digital processes: how to act to ensure human rights and provide e-welfare for all?” and “Roundtable on telemedicine”, New York, UN Headquarters – online Live streamed on UN Webcast, April 12, 2024, link: https:// webtv.un.org/en/asset/k1f/k1f8opygju
4 XXIV Infopoverty World Conference “How could AI fight poverty creating well-being for all” and “Roundtable on telemedicine”, New York, UN Headquarters – online Live streamed on UN Webcast, April 11, 2025, link: https:// webtv.un.org/en/asset/k1w/ k1wpxe6mi3
Figura 7. Principali barriere di entrata a progetti di medicina digitale
Tutti i partecipanti verranno omaggiati di un percorso FAD

SEGRETERIA SCIENTIFICA
Anna D’Ambrosio
Silvano Abati
Giovanni Giacomelli
Roberto Volpe
SEGRETERIA ORGANIZZATIVA
Fabiano Gruppo Editoriale
Reg. Rivelle 7/F - 14050 Moasca AT Tel. 0141 170 6694 - Fax 0141 856 013
a.manassero@fgeditore.it

L’OCCHIO SECCO COME PARADIGMA DELL’OFTALMOLOGIA DI GENERE
Occhi femminili e maschili non sono del tutto uguali: comprendere le differenze aiuta le diagnosi e i trattamenti
Intervista al Professor Antonio Di Zazzo, Fondazione Policlinico Universitario Campus Bio Medico, Roma
AAnche nel campo dell’oftalmologia esistono patologie che colpiscono più un genere rispetto all’altro: nelle donne, ad esempio, insorge più spesso l’occhio secco, negli uomini certi tipi di congiuntiviti. Ma non solo. Parliamo di disturbi che dipendono da diversi fattori, prima di tutto dagli ormoni, ma anche dalla sensibilità del sistema immunitario. Di tutto questo abbiamo parlato con Antonio Di Zazzo, Professore Associato in Oftalmologia presso la Fondazione Policlinico Universitario Campus Bio Medico di Roma.
OCCHIO SECCO: NON È SOLO UN PROBLEMA OCULARE

L’occhio secco rappresenta in oftalmologia la patologia di genere per eccellenza. Le donne, soprattutto in età menopausale e post-menopausale, sono più esposte a causa della riduzione degli estrogeni e della conseguente alterazione del sistema immunitario e delle mucose. Ma la condizione colpisce anche le più giovani che, per motivi oncologici, vengono sottoposte a terapie endocrine adiuvanti.
“La patogenesi dell’occhio secco è complessa e multifattoriale”, chiarisce Di Zazzo. “Ma nelle donne è quasi sempre legata a un profondo squilibrio ormonale. Le pazienti giovani che affrontano un blocco ormonale farmacologico per il tumore al seno, ad esempio, sviluppano sintomi menopausali improvvisi, spesso più invalidanti della malattia stessa. L’occhio secco è uno dei pochi segnali che portano la donna dal medi-
co, ma dietro questa patologia non c’è solo il problema ormonale: ci sono problematiche che toccano la vita di coppia, l’autostima, la sessualità e la qualità della quotidianità”. In questi casi, l’oculista diventa il primo anello di una catena di presa in carico multidisciplinare, che può includere ginecologi, endocrinologi, oncologi, dermatologi e psicologi. Dell’occhio secco, della sua diagnosi e prevenzione parlerà il Professor Di Zazzo insieme ad altri professionisti il prossimo 11 ottobre a Parma, in occasione dell’evento ECM “I tuoi occhi parlano” che si inserisce nel progetto “Vediamoci Rosa”, una iniziativa già avviata l’anno scorso per sensibilizzare sui disturbi da occhio secco rivolta alle donne e ai medici, realizzata in collaborazione con numerosi centri di oculistica in tutta Italia in occasione del mese della prevenzione al femminile, con il supporto di AbbVie.
NON SOLO OCCHIO SECCO: LE ALTRE DIFFERENZE DI GENERE L’oftalmologia di genere non si esaurisce nell’occhio secco. Secondo Di Zazzo, anche altre patologie mostrano una diversa incidenza tra uomini e donne. Ad esempio, uveiti e cheratiti autoimmuni sono più frequenti nelle donne, specialmente dopo la menopausa, quando il sistema immunitario cambia assetto. Al contrario, forme come la congiuntivite allergica o la cheratocongiuntivite di Vernal sono più diffuse nei maschi, soprattutto in età infantile e adolescenziale, per via del diverso equilibrio tra androge-
Professor Antonio Di Zazzo
Il genere deve diventare una variabile da integrare nella pratica clinica quotidiana [...] Una medicina multidisciplinare, personalizzata e centrata sul paziente, capace di leggere le differenze e trasformarle in opportunità di cura migliore
Antonio Di Zazzo

ni ed estrogeni. Anche nei trapianti di cornea il genere ha un peso: “Un donatore maschio in una ricevente donna aumenta il rischio di rigetto”, spiega il medico. “Perché c’è un mismatch immunologico di genere. È un aspetto che studi recenti hanno iniziato a mettere in luce”. Per altre condizioni, come il glaucoma o la retinopatia diabetica, la prevalenza è meno legata al genere biologico e più agli stili di vita: dieta, sedentarietà, fattori epigenetici.
L’OCCHIO COME SPECCHIO DEL CORPO
L’occhio, però, non è mai un organo isolato. Può riflettere condizioni sistemiche e diventare uno strumento diagnostico. “Non di rado ho diagnosticato una sindrome dell’ovaio policistico partendo da sintomi oculari come prurito e filamenti mucosi”, racconta Di Zazzo. “L’invio dell’esame al ginecologo e gli esami ormonali hanno confermato la diagnosi.
In altri casi, persino un carcinoma testicolare in uomini giovani è stato intercettato grazie a un occhio secco atipico con alterazioni muciniche”. Questi esempi dimostrano che medicina e oftalmologia di genere non sono concetti astratti, ma strumenti concreti per arrivare a diagnosi precoci e cure mirate.
DALLA TERAPIA SINTOMATICA
ALLA CURA PERSONALIZZATA
Per anni l’occhio secco è stato considerato un disturbo minore, da trattare con semplici lacrime artificiali. Oggi, invece, la gestione è cambiata: “La terapia non può essere solo sintomatica”, ribadisce Di Zazzo. “Bisogna capire la causa: se è autoimmune, utilizziamo immunomodulanti; se è ormonale, possiamo ricorrere a colliri a base di ormoni o a terapie sistemiche. Se il problema è cutaneo, interveniamo con antibiotici o luce pulsata. L’approccio è sempre personalizzato.”
Non meno importante è il lato psicologico. L’occhio secco è una patologia cronica che incide sulla qualità della vita, e spesso le pazienti si sentono non credute o banalizzate. “Un approccio positivo dell’oculista aumenta la fiducia della paziente e diventa esso stesso parte della cura”, spiega il Professor Di Zazzo.
UNA PATOLOGIA DELLA “CIVILIZZAZIONE”
L’aumento della prevalenza dell’occhio secco è legato anche ai cambiamenti sociali e tecnologici. Vita davanti a schermi digitali, ambienti climatizzati, aria condizionata: tutti fattori che alterano le mucose oculari. “È una vera e propria patologia della civilizzazione”, commenta Di Zazzo. “Oggi trascorriamo più ore davanti al computer che a dormire, e questo ha un impatto diretto sulla salute oculare”.
La prevenzione, anche in questo caso, torna ai fondamentali: dieta mediterranea, esercizio fisico regolare e attitudine positiva. Tre pilastri che, oltre a proteggere l’occhio, rinforzano l’intero organismo.
PRECISION MEDICINE E FUTURO DELL’OFTALMOLOGIA
Uomini e donne non sono uguali, né nella salute né nella malattia, lo abbiamo capito. Differiscono per cicli ormonali, stili di vita, manifestazioni cliniche e risposte ai trattamenti. “Il genere deve diventare una variabile da integrare nella pratica clinica quotidiana”, afferma Di Zazzo. “È la base della medicina gender-specifica, che non è un capitolo a parte, ma un prerequisito della medicina di precisione. Una medicina multidisciplinare, personalizzata e centrata sul paziente, capace di leggere le differenze e trasformarle in opportunità di cura migliore”.
di Angelica Giambelluca
Tecniche chirurgiche
TECNICA SALOON DOOR: QUANDO L’OCCHIO DIVENTA IL FAR WEST
Partendo da un caso complicato, la soluzione
può essere la più semplice
U
Intervista al Professor Michael Amon, Dipartimento di Oftalmologia dell’Academic Teaching Hospital of St. John, Vienna, Università Sigmund Freud di Vienna
Per collegarsi al video, scansionare il codice QR

Una cornea opaca può celare molti misteri. Quella “foschia” può rappresentare un passato complicato, il segnale di un caso complesso. Tuttavia, anche il mistero più fitto può essere l’ispirazione per una soluzione chirurgica innovativa. È ciò che è capitato al Professor Michael Amon, MD, FEBO, Direttore del Dipartimento di Oftalmologia dell’Academic Teaching Hospital of St. John di Vienna e Professore di Oftalmologia all’Università Sigmund Freud di Vienna, che è riuscito a rendere un caso intricato l’occasione per perfezionare una sua tecnica chirurgica dal nome curioso, la Saloon Door Technique. Proprio le porte di un vecchio saloon sono l’ispirazione principale del Professor Amon, che ha raccontato questa storia incredibile con un video che i film di Sergio Leone e che gli è valso il premio ESCRS Video Award lo scorso

anno al meeting annuale di Barcellona della società europea. La storia inizia con una paziente di settantacinque anni, presentatasi in sala operatoria per un trapianto perforante. Una paziente che nascondeva sotto una cornea estremamente opaca un vero e proprio rebus chirurgico. “Dopo la rimozione della cornea, abbiamo scoperto una lente intraoculare posta di fronte a un’iride artificiale”, spiega Amon. Un mistero che doveva essere risolto solo guardando la storia alquanto complicata della sfortunata paziente. Durante gli anni ‘90 aveva subito un’operazione di cataratta particolarmente complessa, conclusasi con un occhio afachico accompagnato da un’aniridia. “Nel 1998, a causa di un’intolleranza alle lenti a contatto, alla paziente è stata impiantata una lente intraoculare black iris-diaphragm suturata alla sclera, che nel 2008 si è dislocata”, racconta Amon. “A seguito della dislocazione della IOL, alla paziente è stata impiantata una lente in PMMA assieme a un’iride artificiale”.
Le disavventure purtroppo non finiscono qui. “Tra il 2009 e il 2023 diversi scompensi corneali hanno portato la paziente a subire tre DSEK e due PK prima di arrivare da noi nel 2023 con l’ennesima degenerazione” , spiega. Al momento della visita, l’iride artificiale era installata da quindici anni, senza alcuna informazione relativa alle dimensioni della sutura di Prolene o del sito di fissazione. “Non era possibile neppure capire quale fosse il
Michael Amon, MD, FEBO, è Direttore del Dipartimento di Oftalmologia dell’Academic Teaching Hospital of St. John di Vienna
di Timothy Norris
Dopo la rimozione della cornea, abbiamo scoperto una lente intraoculare posta di fronte a un’iride artificiale
Michael Amon

tipo di IOL, e l’acuità visiva della paziente era ridotta a livello ‘counting fingers’. L’impianto di una IOL anteriore era completamente fuori discussione”, osserva Amon. “Ci siamo chiesti se fosse possibile trovare una soluzione elegante per inserire e fissare una lente dietro l’iride, senza per questo modificare la centratura perfetta della protesi”. Due erano le opzioni a disposizione di Amon e del suo team chirurgico: la prima, di rimuovere l’iride artificiale, fissare a essa una IOL e reinserire il tutto utilizzando una tecnica di Yamane modificata o una Canabrava; l’altra invece era di rimuovere l’iride e fissare prima la IOL e poi l’iride alla sclera. “Nessuna delle due opzioni in questo caso sembrava davvero ottimale”, osserva Amon. “Apparentemente, non c’era alcun modo per inserire una IOL a fissazione sclerale e mantenere l’iride allo stesso tempo senza trovarsi a cercare di infilare un cammello nella cruna d’un ago”. Dopo un momento di riflessione collettiva, il colpo di genio. “Effettuando due tagli radiali a ore 6 e ore
12 sull’iride artificiale, abbiamo creato un’apertura di sei millimetri, sufficiente per farci passare attraverso una IOL. Una volta inserita la lente, l’iride sarebbe quindi tornata alla sua posizione originale senza alcun rischio di distorsione o decentramento”, spiega Amon. “Nasce così la Saloon Door Technique”. Dopo aver effettuato le incisioni sull’iride artificiale, la seconda parte dell’operazione ha quindi inizio. Viene quindi scelta la tecnica di Yamane modificata per la fissazione sclerale. “La parte più critica è stata la creazione dei tunnel sclerali per l’inserimento delle aptiche: stavamo lavorando a cielo aperto combinato con un occhio già vitrectomizzato”, racconta Amon. Per evitare sanguinamenti improvvisi, la pressione del sangue della paziente viene preventivamente abbassata. Un’ago-pinza di Amon da 27 gauge viene quindi utilizzata per perforare l’occhio ipotonico all’altezza della sclera. Successivamente, la IOL ancora arrotolata viene cautamente inserita attraverso le “porte da saloon” dell’iride artificiale,
lasciandola scivolare gentilmente all’interno. Mantenendo stabile la pressione dell’occhio con un flusso controllato di salina e usando l’ago-pinza per afferrare e inserire le aptiche nel tunnel sclerale una per volta, la seconda fase avviene senza ulteriori intoppi, con l’ottenimento di un buon centramento della lente artificiale. “È stato interessante osservare come la presenza dell’iride artificiale e poi della IOL abbiano fatto da barriera per la salina, facilitando il trapianto nella fase successiva”, afferma Amon. Durante la terza fase dell’intervento, il trapianto di cornea è avvenuto con facilità con 16 suture ininterrotte di Prolene 10-0, che hanno concluso l’operazione. “Al follow up l’acuità visiva era di 20/200, con un astigmatismo corneale di 2.5 diottrie a 80°. Le ‘porte del saloon’ erano nella loro posizione iniziale e le flange della Yamane erano correttamente poste dietro lo strato di Tenone, parzialmente intrasclerali, con una posizione della IOL altamente soddisfacente. La profondità della camera anteriore a una settimana dall’intervento era di 3.8 millimetri”, precisa Amon. Quando il caso è così complicato e misterioso che sembra proprio uscito dal ‘far west’, la soluzione è a volte quella all’apparenza più semplice. “Per salvare l’iride artificiale all’interno dell’occhio, sono sufficienti due incisioni radiali usando una tecnica di questo tipo, permettendo così l’inserimento o la sostituzione di una lente intraoculare in modo sicuro ed efficiente senza mettere in nessun modo sotto stress i punti di fissazione dell’iride”, spiega Amon. “Si tratta di un’ottima opzione per casi così complessi, perché permette una facile manipolazione delle IOL a prescindere dalla tecnica di flangiazione utilizzata”, conclude.
Grazie al suo stile unico, il video prodotto ed edito da Michael Amon e Konstantin SeillerTarbuk ha ottenuto il premio ESCRS Video Award al 42° Congresso ESCRS a Barcellona.
ALTERAZIONI DEL CORPO VITREO: UN NUOVO PUNTO DI VISTA

IIl corpo vitreo è fisiologicamente ricco di antiossidanti, i quali sono fondamentali per preservarne la delicata struttura e quindi la normale trasparenza. Con il tempo e in condizioni patologiche, può però subire danni ossidativi con tre modalità tra loro correlate:
1. Formazione di AGE (prodotti finali di glicazione avanzata).
2. Disfunzione degli ialociti.
3. Foto-ossidazione.
FORMAZIONE DI AGE
Gli AGE generano legami crociati anomali tra le fibrille di collagene, provocando la dissociazione del collagene stesso dall’acido ialuronico. Tutto questo comporta una destabilizzazione del vitreo.

Gli AGE possono anche attivare uno specifico recettore di membrana, presente su cellule immunitarie e nervose, promuovendo la produzione di agenti ossidanti e infiammatori che vanno ad alterare ulteriormente l’architettura vitreale.
DISFUNZIONE DEGLI IALOCITI
Gli ialociti sono cellule simil-macrofagi, specifiche del corpo vitreo e adatte alle sue esigenze sia in fase di sviluppo che in fase di invecchiamento. Producono collagene e acido ialuronico, e sono molto importanti per la normale trasparenza vitreale. Tuttavia, in presenza di forte stress ossidativo, possono esprimere alti livelli di ialuronidasi - enzima responsabile della degradazione dell’acido ialuronico - contribuendo così alla liquefazione del gel vitreale.
FOTO-OSSIDAZIONE
Il corpo vitreo è quotidianamente esposto a rischio di danno fotoossidativo: da un lato non può sottrarsi all’arrivo di luce ad alta energia, come quella blu e ultravioletta; dall’altro, essendo il numero degli ialociti relativamente basso, può non avere un ritmo metabolico tale da consumare efficientemente l’ossigeno che vi arriva, il quale può generare così radicali liberi.
VITREOLISINA PLUS presenta una formulazione dall’altissimo potere antiossidante, sviluppata per contrastare specificatamente lo stress ossidativo nel corpo vitreo. Il prodotto si distingue, infatti, per essere stato formulato secondo il fisiologico assetto antiossidante vitreale.
VITREOLISINA PLUS contiene Selenio, Zinco, Vitamina C e Vitamina E; enzimi antiossidanti come Superossido Dismutasi (SOD) e Bromelina; aminoacidi come L-Metionina, L- Serina e N-Acetilcisteina, che aumentano la sintesi endogena del Glutatione; carnosina, che contrasta la formazione degli AGE; acido ialuronico che può stimolare, attraverso l’asse intestino-occhio, la sintesi del suo corrispettivo endogeno.
VITREOLISINA PLUS costituisce un valido sostegno al naturale sistema difensivo del corpo vitreo in tutte le alterazioni vitreali.


Percorsi tra REFRAZIONE, SCIENZA E RIABILITAZIONE

24-25
GENNAIO 2026
BOLOGNA
Presidente
Marcella Nebbioso (Roma)
Vice presidente
Emilia Gallo (Catania)
Segretario scientifico
Maria Rosaria Franco (Lecce)
Consiglieri
Federico Bartolomei (Bologna)
Rocco Di Lorenzo (Palermo)
Luigi Donato (Messina)
Federica Franzone (Torino)
Paolo Giuseppe Limoli (Milano)
Marco Ulisse Morales (Padova)
Erika Rigoni (Latina)
Sergio Zaccaria Scalinci (Bologna)
Lucia Scorolli (Bologna)
Gianfrancesco Villani (Verona)
15 CREDITI ECM
Tutti i partecipanti verranno omaggiati di un percorso FAD
Segreteria organizzativa Fabiano Gruppo Editoriale
Reg. Rivelle 7/F - 14050 Moasca AT Tel. 0141 170 6694 - Fax 0141 856 013
a.manassero@fgeditore.it
Enzo Maria Vingolo (Roma) SAVE THE
MYOPIA ACTION MONTH: DALL’AWARENESS ALL’AZIONE

SSettembre è il Myopia Action Month, occasione per tradurre in azione quanto emerso durante la Myopia Awareness Week di maggio, promossa a Milano da EssilorLuxottica con un evento in cui sono stati coinvolti oculisti, ortottisti, pediatri, otticioptometristi e famiglie.
I dati restano allarmanti: in Italia oltre il 35% dei ragazzi sotto i 14 anni è già miope, ma solo un genitore su tre sa definire la miopia e l’85% non conosce le soluzioni disponibili per rallentarne la progressione. Questi dati emergono da un’indagine condotta da Ipsos per EssilorLuxottica nel 2024, confermando un gap di informazione tra i genitori che sottolinea la necessità di avere un ruolo proattivo del guidare famiglie e pazienti lungo percorsi basati su evidenze scientifiche. In occasione dell’evento all’EssilorLuxottica Tortona Experience Center a Milano, il Prof. Paolo Nucci, Professore Ordinario di Oftalmologia Università di Milano, ha spiegato
l’importanza del medico oculista pediatrico “È più semplice visitare un bambino molto piccolo di quanto si pensi, il vero ostacolo spesso è l’ansia dei genitori. Un oftalmologo pediatrico ha gli strumenti e l’esperienza per gestire queste situazioni.”
Un ruolo chiave nella prevenzione lo ricoprono i pediatri e la Dott.ssa Tomasini, Pediatra e Nutrizionista Infantile, si è incaricata di presentare le buone abitudini visive che le famiglie devono conoscere: “Da pediatra mi sono resa conto che sulla salute visiva c’è poca consapevolezza. Quando parlo di alimentazione i genitori sono molto attenti, ma quando parlo di vista no. Stare all’aria aperta almeno due ore al giorno aiuta sia la vista che lo sviluppo motorio. So che per i genitori è difficile, ma è importante disconnettere i bambini dai device e proporre attività alternative.”

La Dott.ssa Elena Maffezzoni, Ortottista alla Clinica San Giuseppe di Milano, ha evidenziato che “Il ruolo dell’ortottista è chiave nella prevenzione. I nostri strumenti ci permettono di istruire le famiglie e coinvolgere anche i bambini nel percorso visivo. L’aria aperta è fondamentale per rallentare la progressione della miopia. Serve un approccio multidisciplinare fondamentale nella filiera della prevenzione.”
Giancarlo Montani, otticooptometrista e IMI Ambassador, ha ribadito infine che “la miopia sembra un difetto banale, ma è in realtà una condizione complessa che richiede competenze diverse. Solo la collaborazione tra medico, ortottista e ottico-optometrista consente di offrire ai bambini la migliore soluzione possibile”. In questo quadro ha presentato gli ultimi dati sullo studio clinico a
sei anni delle lenti Stellest: al sesto anno di follow-up infatti, le lenti Essilor® Stellest® hanno mostrato un rallentamento della progressione della miopia di 1,95 diottrie (57%) e l’allungamento assiale di 0,81 mm (52%) in media*, confermandone un’efficacia a lungo termine.
Contrastare la miopia è un impegno collettivo: anche le famiglie, in autonomia, devono poter contare su strumenti adeguati per informarsi correttamente: Per questo EssilorLuxottica si impegna a promuovere awareness attraverso un continuo investimento in comunicazione, eventi sul territorio ma anche con progetti come l’opuscolo ‘Missione Occhi dei Bimbi’, realizzato in collaborazione con Occhi dei Bimbi, un libretto che contiene informazioni pratiche ed aggiornate per le famiglie utili a proteggere gli occhi dei bambini dalle prime tappe della vita fino all’età scolare.
Il Prof. Nucci con la moderatrice dell’incontro Lorena Bianchetti
QR CODE Scarica l’opuscolo per le famiglie “Missione Occhi dei Bimbi”

*Rispetto alla progressione a 72 mesi del gruppo di controllo virtuale (riduzione annuale media prevista in SER del 9,7% –Smotherman C, et al. IOVS 2023;64: ARVO E-Abstract 811 – e in AL del 15% – Shamp W, et al. IOVS 2022;63: ARVO E-Abstract A0111).EssilorLuxottica. Myopia control efficacy of spectacle lenses with highly aspherical lenslets: results of a 6-year follow-up study. 2025. Data on file.
ASEKOfta™: IL PRIMO SUPPORTO MEIBO-NORMALIZZANTE PER IL PAZIENTE CON DRY EYE
AASEKOfta™ rappresenta una novità assoluta nel panorama dei nutraceutici oftalmici, configurandosi come il primo supporto meibo-normalizzante sviluppato per la gestione del Dry Eye. La sindrome dell’occhio secco è oggi considerata una condizione multifattoriale, ma quasi la totalità dei pazienti presenta una componente iper-evaporativa correlata ad una disfunzione delle ghiandole di Meibomio. ASEKOfta™ si rivolge quindi in particolare a questa forma, agendo sulle principali alterazioni fisiopatologiche delle ghiandole e del loro secreto, il meibum. Il quadro clinico della MGD è caratterizzato da riduzione ed alterazione dei meibociti con produzione di un meibum più denso poiché ricco di lipidi saturi, iperespressione dei geni della cheratina e conseguente ipercheratinizzazione dei dotti. Questi

fenomeni portano a un film lacrimale instabile, infiammazione cronica e peggioramento dei sintomi del dry eye. (fig 1 modif. da Du et al. 2023)
ASEKOfta™ agisce a più livelli: sul metabolismo lipidico, sul controllo dell’infiammazione, sulla prevenzione dello stress ossidativo, che influenza la cheratinizzazione e sul ripristino dell’innervazione corneale.
La formulazione di ASEKOfta™ include infatti DHA, in primis capace di migliorare la qualità e la fluidità del meibum, favorendo un aumento della quota di lipidi insaturi al suo interno; il ripristino dei lipidi consente una maggiore stabilità del film lacrimale. Studi clinici hanno mostrato un miglioramento del meibo-score e del TBUT in pazienti trattati con DHA rispetto al placebo.
Alla sua azione si aggiunge quella della N-acetilcisteina (NAC), precursore del glutatione ridotto, fondamentale per contrastare lo stress ossidativo e prevenire i processi di ipercheratinizzazione dei dotti. (Gupta et al. 2021; Fig. 2A, 2B da Tomlinson et al. 2011; Fig. 2C da )

Margine palpebrale normale con orifizi delle ghiandole di Meibomio (frecce) e meibum dall’aspetto chiaro
Figura 1
Il profilo antinfiammatorio è garantito sia dal DHA che dal Polygonum cuspidatum, ricco in polidatina. Quest’ultima inibisce la traslocazione del fattore
nucleare NF-kB e riduce il rilascio di citochine pro-infiammatorie, limitando la cronicizzazione dei processi flogistici. (Fig. 3 modif. da Jones et al. 2025)



Parallelamente, l’associazione di mecobalamina e tiamina svolge un’azione neurotrofica e neurorigenerativa, supportando l’arco riflesso della lacrimazione attraverso l’aumento della densità dei nervi corneali, come confermato da studi clinici.
ASEKOfta™ si distingue anche per i suoi plus formulativi: l’impiego di DHA microincapsulato, che garantisce una maggiore biodisponibilità rispetto alle forme in olio emulsionato, e l’utilizzo della mecobalamina, più biodisponibile e con evidenze specifiche nel DED rispetto alla cianocobalamina. Queste caratteristiche ne potenziano l’efficacia e ne ampliano le possibilità di utilizzo.
Le indicazioni di ASEKOfta™ riguardano pazienti che non trovano sollievo con la sola terapia topica, ma anche quelli alla prima diagnosi, per i quali l’associazione precoce può migliorare l’outcome clinico. I profili ideali in questo senso includono soggetti con dry eye associato a calazio ricorrente, o blefarite o condizioni sistemiche legate all’omeostasi lipidica, come patologie dermatologiche e sindromi metaboliche.
ASEKOfta™ si propone quindi come un valido alleato nella gestione a lungo termine del Dry Eye, introducendo un approccio integrato e scientificamente fondato a una delle patologie oculari più diffuse.
Figura 3
Tutti gli orifizi aperti verso la congiuntiva marginale, con alcuni evidenti dotti terminali, segno di occlusione totale o parziale
Due orifizi estroflessi, segno di cheratinizzazione
B C
ESSILOR STELLEST PRIME
ED UNICHE LENTI OFTALMICHE
AUTORIZZATE ALLA VENDITA NEGLI STATI UNITI DALL’FDA

PParigi, Francia (25 settembre 2025) EssilorLuxottica annuncia di aver ottenuto l’autorizzazione dalla Food and Drug Administration (FDA) alla commercializzazione delle lenti Essilor Stellest grazie al percorso regolatorio De Novo. L’autorizzazione arriva dopo che la stessa FDA aveva già riconosciuto il potenziale del prodotto, classificandolo come Breakthrough Device nel 2021. Le lenti Essilor Stellest sono le prime ad aver ricevuto l’autorizzazione alla vendita da parte dell’FDA come lenti oftalmiche con efficacia clinicamente comprovata nel rallentare la progressione della miopia nei bambini1,2. Studi clinici hanno dimostrato che le lenti Essilor Stellest sono in grado di rallentare la progressione della miopia in media del 71% nell’arco di due anni1,2. Dopo il successo a livello internazionale, nelle prossime settimane saranno disponibili anche negli Stati Uniti, offrendo ai professionisti della cura della vista uno strumento efficace per il trattamento della miopia nei bambini e confermando il ruolo di EssilorLuxottica come leader del settore nella lotta alla miopia.

“Essilor Stellest è uno dei prodotti per la cura della vista più attesi dell’ultimo decennio. Di fronte a una vera e propria epidemia globale che colpisce milioni di persone, anni fa ci siamo posti l’obiettivo di sviluppare una lente capace di rispondere concretamente alle esigenze del mercato, e in particolare dei più giovani. Questa tecnologia ridefinisce il ruolo delle lenti correttive tradizionali, trasformandole in un vero e proprio trattamento clinico e aprendo una nuova fase per i professionisti della cura della vista
nella lotta contro la miopia. Siamo felici di aver ottenuto l’autorizzazione alla vendita di Essilor Stellest da parte dell’FDA negli Stati Uniti: un traguardo che ci consentirà di raggiungere i pazienti più giovani. Il nostro impegno costante nel ridefinire il futuro della tecnologia, della cura della vista e delle connessioni umane trova in questa straordinaria innovazione uno strumento fondamentale per offrire a tutti la possibilità di migliorare il proprio benessere visivo”, hanno dichiarato Francesco Milleri, Presidente e Amministratore Delegato, e Paul du Saillant, Vice Amministratore Delegato di EssilorLuxottica.
Da oltre quarant’anni, EssilorLuxottica è all’avanguardia nella ricerca sulla miopia, un percorso culminato con il lancio delle lenti Essilor Stellest, oggi indossate da milioni di bambini nei principali paesi del mondo. In linea con l’impegno di EssilorLuxottica di sviluppare e rendere disponibili ovunque nel mondo tecnologie medicali all’avanguardia, le lenti Essilor Stellest rappresentano per i professionisti della cura della vista una soluzione affidabile e supportata da solide evidenze cliniche, pensata per accompagnare le famiglie nella gestione della miopia e migliorare la salute degli occhi sia nel breve che nel lungo periodo.
1. Rispetto alle lenti monofocali. Risultati di uno studio clinico statunitense prospettico, randomizzato, in doppio cieco e multicentrico condotto su bambini miopi di età compresa tra 6 e 12 anni all’inizio del trattamento.
2. Essilor International, dati interni (2025).

Scopri perche` e` importante controllare gli occhi sin dai primi anni di vita!

lui è Pigrocchio
Puoi chiedere 50 copie gratuite da mettere a disposizione nella tua sala d'attesa

Richiedi gli opuscoli a info@fgeditore.it

ORDINA LA TUA COPIA

Chirurgia della cataratta in casi difficili con la tecnica mini incisionale M-SICS
Alfonso Anania
FABIANO GRUPPO EDITORIALE
Redazione: Strada 4 Milano Fiori, Palazzo Q7 – 20089 Rozzano (MI) Sede operativa: FGE srl – Regione Rivelle 7/F – 14050 Moasca (AT) Tel. 0141 1706694 – Fax 0141 856013 – e-mail: info@fgeditore.it – www.fgeditore.it
1. DENOMINAZIONE DEL MEDICINALE Roclanda 50 microgrammi/mL + 200 microgrammi/mL collirio, soluzione
2. COMPOSIZIONE QUALITATIVA E QUANTITATIVA Ogni mL di soluzione contiene 50 microgrammi di latanoprost e 200 microgrammi di netarsudil (come mesilato). Eccipiente con effetti noti Ogni mL di soluzione contiene 200 microgrammi di benzalconio cloruro. Per l’elenco completo degli eccipienti, vedere paragrafo 6.1.
3. FORMA FARMACEUTICA Collirio, soluzione (collirio). Soluzione limpida, incolore, pH 5 (indicativamente). Osmolalità: 280 mOsm/kg.
4. INFORMAZIONI CLINICHE 4.1 Indicazioni terapeutiche Roclanda è indicato per la riduzione della pressione intraoculare (PIO) elevata in pazienti adulti con glaucoma primario ad angolo aperto o ipertensione dell’occhio nei quali la monoterapia con una prostaglandina o netarsudil determini una riduzione della PIO insufficiente. 4.2 Posologia e modo di somministrazione Il trattamento con Roclanda deve essere iniziato esclusivamente da un oculista o da un operatore sanitario qualificato in oftalmologia. Posologia La dose raccomandata è di una goccia nello(negli) occhio(i) affetto(i) una volta al giorno alla sera. I pazienti non devono instillare più di una goccia nello(negli) occhio(i) affetto(i) ogni giorno. Se si dimentica una dose, il trattamento deve continuare con la dose successiva alla sera. Popolazione pediatrica La sicurezza e l’efficacia di Roclanda nei bambini di età inferiore a 18 anni non sono state stabilite. Non ci sono dati disponibili. Modo di somministrazione Per uso oftalmico. I dati sulle potenziali interazioni specifiche per latanoprost + netarsudil sono riportati nel paragrafo 4.5. Se l’associazione latanoprost + netarsudil deve essere usata in concomitanza con altri medicinali oftalmici per uso topico, ogni medicinale deve essere somministrato a distanza di almeno cinque minuti dall’altro. A causa delle proprietà vasodilatatorie di netarsudil, gli altri colliri devono essere somministrati prima di latanoprost + netarsudil. Gli unguenti oftalmici devono essere somministrati per ultimi. Le lenti a contatto devono essere rimosse prima dell’instillazione di latanoprost + netarsudil e possono essere riposizionate 15 minuti dopo la sua somministrazione (vedere paragrafo 4.4). Come per ogni collirio, per ridurre il possibile assorbimento sistemico si raccomanda di comprimere il sacco lacrimale a livello del canto mediale (occlusione puntale) per un minuto. Questa operazione deve essere effettuata immediatamente dopo aver instillato ogni goccia. Al fine di evitare la contaminazione della soluzione, la punta del contagocce non deve entrare in contatto con l’occhio, le strutture circostanti, le dita o qualsiasi altra superficie. Dall’uso di soluzioni contaminate possono derivare gravi danni agli occhi e conseguente perdita della vista. 4.3 Controindicazioni Ipersensibilità ai principi attivi o ad uno qualsiasi degli eccipienti elencati al paragrafo 6.1. 4.4 Avvertenze speciali e precauzioni d’impiego Pigmentazione dell’iride Latanoprost può causare una graduale alterazione del colore dell’occhio poiché aumenta la quantità di pigmento marrone presente nell’iride. Prima di istituire la terapia, i pazienti devono essere informati della possibilità di una variazione permanente del colore degli occhi. Il trattamento unilaterale può causare eterocromia permanente. L’aumento della pigmentazione dell’iride non ha mostrato di determinare conseguenze cliniche negative ed è possibile proseguire il trattamento con medicinali contenenti latanoprost anche dopo aver riscontrato la pigmentazione dell’iride. I pazienti devono comunque essere monitorati regolarmente e, nel caso in cui il quadro clinico lo richieda, il trattamento con medicinali contenenti latanoprost può essere sospeso. Cheratite erpetica I medicinali contenenti latanoprost devono essere usati con cautela in pazienti con anamnesi di cheratite erpetica e devono essere evitati nei casi di cheratite da herpes simplex in fase attiva e nei pazienti con anamnesi di cheratite erpetica ricorrente specificamente associata agli analoghi delle prostaglandine. Rischio di edema maculare Le segnalazioni di edema maculare con medicinali contenenti latanoprost hanno riguardato principalmente pazienti afachici, pseudofachici con rottura della capsula posteriore del cristallino o con lenti in camera anteriore o in pazienti con fattori di rischio noti per l’edema maculare cistoide (come la retinopatia diabetica e l’occlusione venosa retinica). I medicinali contenenti latanoprost devono essere usati con cautela nei pazienti afachici, pseudofachici con rottura della capsula posteriore del cristallino o con lenti in camera anteriore o nei pazienti con fattori di rischio noti per l’edema maculare cistoide. Rischio di irite/uveite Nei pazienti con noti fattori di rischio predisponenti allo sviluppo di irite/uveite, i medicinali contenenti latanoprost possono essere usati con cautela. Esacerbazione dell’asma Vi è un’esperienza limitata sull’uso di latanoprost in pazienti asmatici, ma dopo la commercializzazione del medicinale sono stati segnalati alcuni casi di esacerbazione dell’asma e/o della dispnea. I pazienti asmatici devono quindi essere trattati con cautela in attesa di acquisire un’esperienza sufficiente con l’associazione. Alterazione del colore della pelle periorbitale Nel corso del trattamento con medicinali contenenti latanoprost è stata osservata un’alterazione del colore della pelle periorbitale; la maggior parte delle segnalazioni ha riguardato pazienti giapponesi. L’esperienza acquisita finora dimostra che l’alterazione del colore della pelle periorbitale non è permanente e in alcuni casi risulta reversibile mentre si prosegue il trattamento con latanoprost. Cambiamenti nelle ciglia Il trattamento con medicinali contenenti latanoprost può gradualmente modificare le ciglia e la peluria dell’occhio trattato e delle aree circostanti; questi cambiamenti includono l’allungamento, l’ispessimento, la pigmentazione e l’infoltimento delle ciglia o della peluria e la crescita di ciglia con orientamento anomalo. I cambiamenti nelle ciglia sono reversibili con la sospensione del trattamento. Edema corneale epiteliale reticolare L’edema corneale epiteliale reticolare (RECE) è stato segnalato a seguito della somministrazione di medicinali contenenti netarsudil, in particolare in pazienti con edema corneale preesistente o precedente intervento chirurgico oculare. Il RECE si risolve in genere con l’interruzione del medicinale contenente netarsudil. I pazienti devono essere avvisati di informare il proprio medico in caso manifestino una riduzione della vista o dolore agli occhi durante l’uso di Roclanda. L’efficacia di Roclanda non è stata studiata oltre i 12 mesi. Eccipiente con effetti noti Benzalconio cloruro Questo medicinale contiene benzalconio cloruro. È stato segnalato che benzalconio cloruro provoca irritazione oculare, sintomi di secchezza oculare e può influire sul film lacrimale e sulla superficie corneale ed è noto per causare cambiamento di colore delle lenti a contatto morbide. Deve essere usato con cautela nei pazienti con occhi secchi e nei pazienti in cui la cornea può essere compromessa. I pazienti devono essere monitorati in caso di uso prolungato. 4.5 Interazioni con altri medicinali ed altre forme d’interazione Studi di interazione in vitro hanno mostrato che mischiando colliri contenenti tiomersal a latanoprost + netarsudil si può formare del precipitato. Eventuali altri colliri devono essere applicati a distanza di almeno cinque minuti (vedere paragrafo 4.2). Studi in vitro hanno indicato che netarsudil è un potenziale inibitore degli isoenzimi del CYP450 nella cornea; tuttavia, finora non sono state osservate evidenze cliniche di interazioni farmacocinetiche locali. Sono stati riferiti casi di aumenti paradossi della PIO dopo la somministrazione oftalmica concomitante di due analoghi delle prostaglandine. L’uso di due o più prostaglandine, analoghi delle prostaglandine o derivati delle prostaglandine non è pertanto raccomandato. 4.6 Fertilità, gravidanza e allattamento Gravidanza I dati relativi all’uso di latanoprost + netarsudil in donne in gravidanza non esistono o sono in numero limitato. Non si ritiene che netarsudil possa causare effetti durante la gravidanza, dal momento che l’esposizione sistemica a netarsudil è trascurabile (vedere paragrafo 5.2). Gli studi sugli animali con somministrazione endovenosa di netarsudil non indicano effetti dannosi diretti o indiretti di tossicità riproduttiva a esposizioni clinicamente rilevanti (vedere paragrafo 5.3). Latanoprost potrebbe causare effetti farmacologici dannosi durante la gravidanza e/o sul feto/neonato (vedere paragrafo 5.3). L’associazione latanoprost + netarsudil non deve pertanto essere usata durante la gravidanza. Allattamento Non è noto se netarsudil/metaboliti siano escreti nel latte materno. Tuttavia, sebbene non si ritenga che netarsudil possa causare effetti su neonati/lattanti, dal momento che l’esposizione sistemica a netarsudil di donne che allattano è prevedibilmente trascurabile, non sono disponibili dati clinici rilevanti (vedere paragrafo 5.2). Latanoprost e i suoi metaboliti potrebbero essere escreti nel latte materno. Si deve decidere se interrompere l’allattamento o interrompere la terapia/astenersi dalla terapia con Roclanda tenendo in considerazione il beneficio dell’allattamento per il bambino e il beneficio della terapia per la donna. Fertilità Non sono disponibili dati relativi agli effetti di netarsudil sulla fertilità maschile o femminile. Tuttavia, non sono previsti effetti, poiché l’esposizione sistemica a netarsudil è trascurabile (vedere paragrafo 5.2). Gli studi sugli animali hanno dimostrato che latanoprost non ha effetto sulla fertilità maschile o femminile (vedere paragrafo 5.3). 4.7 Effetti sulla capacità di guidare veicoli e sull’uso di macchinari Roclanda altera in modo trascurabile la capacità di guidare veicoli e di usare macchinari. RIASSUNTO
In caso di visione offuscata transitoria durante l’instillazione, prima di guidare veicoli o usare macchinari il paziente deve attendere che la visione torni nitida. 4.8 Effetti indesiderati Riassunto del profilo di sicurezza Le reazioni avverse più comunemente osservate negli studi clinici sono state l’iperemia congiuntivale, (46% dei pazienti), dolore in sede di instillazione (14%), cornea verticillata (12%) e prurito oculare (7%). Negli studi clinici non sono state segnalate reazioni avverse serie. Tabella delle reazioni avverse Le seguenti reazioni avverse sono state segnalate con l’associazione latanoprost + netarsudil, somministrata una volta al giorno e durante gli studi clinici e la sorveglianza post-commercializzazione con i singoli componenti latanoprost e netarsudil. Le reazioni avverse sono presentate in base alla classificazione per sistemi e organi secondo MedDRA. All’interno di ciascuna classe sistemico-organica, le reazioni avverse sono classificate in base alla frequenza e alla seguente convenzione: molto comune (≥1/10), comune (≥1/100, <1/10), non comune (≥1/1 000, <1/100), raro (≥1/10 000, <1/1 000), molto raro (<1/10 000) oppure non nota (la frequenza non può essere definita sulla base dei dati disponibili). Descrizione di reazioni avverse selezionate Iperemia della congiuntiva L’iperemia della congiuntiva è stata la reazione avversa più frequentemente segnalata associata al trattamento con latanoprost + netarsudil negli studi clinici ed è attribuita all’effetto di vasodilatazione della classe di medicinali inibitori della Rho-chinasi. L’iperemia della congiuntiva era tipicamente di severità lieve e sporadica. Tuttavia, una percentuale relativamente ridotta di soggetti con iperemia moderata o severa ha sospeso il trattamento a causa di questa reazione avversa (5% negli studi clinici di fase 3). Cornea verticillata La cornea verticillata si è verificata in circa il 13% dei pazienti in studi clinici controllati di fase 3. La cornea verticillata osservata nei pazienti trattati con latanoprost + netarsudil è stata riscontrata per la prima volta dopo 4 settimane di somministrazione giornaliera. Questa reazione non ha comportato alcuna apparente alterazione funzionale visiva nei pazienti. La maggior parte dei casi di cornea verticillata si è risolta con la sospensione del trattamento. L’incidenza della cornea verticillata è stata più elevata in alcune sottopopolazioni: anziani (≥ 65 anni) rispetto a non anziani (18,8 contro 11,5%); maschi rispetto a femmine (18,8 contro 13%) e nei bianchi rispetto ad altre razze (21,7 contro 2,5%). Pigmentazione dell’iride Roclanda contiene latanoprost, che è un analogo della prostaglandina F2α. La maggior parte delle reazioni avverse associate a latanoprost è di natura oculare. In uno studio della durata di 5 anni sulla sicurezza di latanoprost, la pigmentazione dell’iride è stata riscontrata nel 33% dei pazienti (vedere paragrafo 4.4). Questa alterazione del colore dell’occhio è stata osservata in prevalenza in pazienti con iridi di colore misto, ossia blu-marrone, grigiomarrone, giallo-marrone e verde-marrone. Negli studi su latanoprost, l’insorgenza dell’alterazione è stata generalmente osservata nei primi 8 mesi di trattamento, raramente durante il secondo o terzo anno e mai dopo il quarto anno di trattamento. La frequenza di progressione della pigmentazione dell’iride si riduce nel tempo ed è stabile per cinque anni. L’effetto dell’aumentata pigmentazione dell’iride oltre i cinque anni non è stato valutato. Nella maggior parte dei casi l’alterazione del colore dell’iride è lieve e spesso non osservabile clinicamente. L’incidenza in pazienti con iridi di colore misto oscilla tra il 7 e l’85% e l’incidenza maggiore si osserva nelle iridi di colore giallo-marrone. L’alterazione non è stata osservata in pazienti con occhi di colore blu omogeneo ed è stata riscontrata solo raramente in pazienti con occhi di colore grigio, verde o marrone omogeneo. L’alterazione del colore è dovuta a un aumento del contenuto di melanina nei melanociti dello stroma dell’iride e non a un aumento del numero di melanociti. Di solito la pigmentazione marrone attorno alla pupilla si diffonde concentricamente verso la zona periferica dell’occhio interessato, ma può imbrunire anche tutta l’iride o settori dell’iride. Dopo la sospensione del trattamento non è stata osservata un’ulteriore pigmentazione marrone dell’iride. Negli studi clinici condotti finora, questo effetto non si è associato ad alcun sintomo o alterazione patologica. Nevi ed efelidi dell’iride non sono stati influenzati dal trattamento. Gli studi clinici non hanno evidenziato un accumulo di pigmento nella rete trabecolare o in altre zone della camera anteriore. Altre popolazioni speciali Anziani Ad eccezione della cornea verticillata (vedere sopra), non è stata osservata alcuna differenza nel profilo di sicurezza di latanoprost + netarsudil tra soggetti di età <65 o ≥65 anni. Segnalazione delle reazioni avverse sospette La segnalazione delle reazioni avverse sospette che si verificano dopo l’autorizzazione del medicinale è importante, in quanto permette un monitoraggio continuo del rapporto beneficio/rischio del medicinale. Agli operatori sanitari è richiesto di segnalare qualsiasi reazione avversa sospetta tramite il sistema nazionale di segnalazione all´indirizzo: Agenzia Italiana del Farmaco. Sito web: https://www.aifa.gov.it/content/segnalazioni-reazioni-avverse. 4.9 Sovradosaggio L’esposizione sistemica al componente netarsudil dell’associazione latanoprost + netarsudil in seguito a somministrazione oftalmica topica si è dimostrata trascurabile. Eccetto irritazione oculare e iperemia della congiuntiva, non sono noti altri effetti indesiderati oculari correlati al sovradosaggio di latanoprost. In caso di ingestione accidentale di latanoprost, possono essere utili le seguenti informazioni: un flacone contiene 125 microgrammi di latanoprost. Più del 90% è metabolizzato durante il primo passaggio nel fegato. L’infusione endovenosa di 3 microgrammi/kg in volontari sani non ha indotto sintomi, ma una dose di 5,5-10 microgrammi/kg ha causato nausea, dolore addominale, capogiro, stanchezza, vampate di calore e sudorazione. Latanoprost è stato somministrato per infusione endovenosa nella scimmia a dosi fino a 500 microgrammi/kg senza causare effetti importanti sul sistema cardiovascolare. Somministrazioni endovenose di latanoprost nella scimmia sono state correlate a broncocostrizione transitoria. Tuttavia, se applicato per via topica nell’occhio ad una dose sette volte superiore a quella usata in clinica, latanoprost non ha indotto broncocostrizione in pazienti affetti da asma bronchiale moderata. In caso di sovradosaggio topico di latanoprost + netarsudil, lo(gli) occhio(i) può(possono) essere lavato(i) con acqua corrente. Il trattamento del sovradosaggio include una terapia di supporto e sintomatica.
5. PROPRIETÀ FARMACOLOGICHE 5.1 Proprietà farmacodinamiche Categoria farmacoterapeutica: oftalmologici, preparati antiglaucoma e miotici, codice ATC: S01EE51 Meccanismo d’azione Roclanda contiene due principi attivi: latanoprost e netarsudil. Questi due componenti abbassano la PIO aumentando il deflusso dell’umore acqueo. Sebbene sia latanoprost sia netarsudil riducano la PIO aumentando il deflusso dell’umore acqueo, i rispettivi meccanismi d’azione sono diversi. Gli studi sugli animali e sull’uomo suggeriscono che il principale meccanismo d’azione di netarsudil, un inibitore della Rho-chinasi, è l’aumento del deflusso trabecolare. Questi studi indicano inoltre che netarsudil riduce la PIO abbassando la pressione venosa episclerale. Gli studi sugli animali e sull’uomo indicano che il principale meccanismo d’azione di latanoprost, un analogo della prostaglandina F2α, è l’aumento del deflusso uveosclerale, sebbene nell’uomo sia stato riferito un certo aumento della facilità di deflusso (riduzione della resistenza al deflusso). Efficacia e sicurezza clinica Roclanda è stato valutato in 3 studi clinici di fase 3 randomizzati, in doppio cieco, multicentrici, condotti su 1 686 pazienti con glaucoma ad angolo aperto e ipertensione oculare. Gli studi 301 e 302 hanno arruolato soggetti con PIO <36 mmHg e confrontato l’effetto di riduzione della PIO dell’associazione latanoprost + netarsudil somministrata una volta al giorno con la somministrazione dei singoli componenti, netarsudil 0,02% una volta al giorno e latanoprost 0,005% una volta al giorno. Il trattamento è durato 12 mesi nello studio 301 e 3 mesi nello studio 302. L’età mediana dei partecipanti agli studi era di 66 anni (intervallo compreso tra 18 e 99 anni). Lo Studio 303 ha valutato l’efficacia ipotensiva sull’occhio di latanoprost + netarsudil rispetto a bimatoprost 0,03%/timololo 0,5%. La durata del trattamento era di 6 mesi. Gli studi 301 e 302 erano progettati per dimostrare la superiorità dell’associazione latanoprost + netarsudil somministrata una volta al giorno la sera rispetto ai singoli componenti netarsudil 0,02% una volta al giorno e latanoprost 0,005% una volta al giorno. L’indicatore primario dell’esito di efficacia era la PIO media (minimi quadrati, LS) in ciascuno dei 9 punti temporali misurati alle ore 08:00, 10:00 e 16:00 al giorno 15, al giorno 43 e al giorno 90. L’effetto di riduzione della media della PIO dell’associazione latanoprost + netarsudil è stato di 1-3 mmHg superiore rispetto alla monoterapia sia con netarsudil 0,02% sia con latanoprost 0,005% nel corso di 3 mesi (figure 1 e 2). Nello studio 301 le riduzioni della PIO si sono mantenute, dimostrando la superiorità statistica di latanoprost + netarsudil nei 12 mesi del periodo di trattamento. In tutti i casi, le differenze nella PIO media (LS) sono risultate clinicamente rilevanti e statisticamente significative (p < 0,0001) fino al mese 3. Circa il 30% dei soggetti inclusi negli studi di fase 3 aveva una PIO al basale ≥ 27 mmHg (132, 136 e 143 nei gruppi trattati rispettivamente con latanoprost + netarsudil, latanoprost e netarsudil). In tali soggetti, l’associazione latanoprost + netarsudil ha evidenziato, in tutti i punti temporali, un’efficacia di diminuzione della PIO superiore in misura statisticamente significativa rispetto a ciascuno dei suoi componenti. In entrambi gli studi, il medicinale in associazione ha ridotto la PIO di ulteriori 1,7 mmHg, a un valore di 3,7 mmHg, rispetto a latanoprost da solo, e di ulteriori 3,4 mmHg, a un valore di 5,9 mmHg, rispetto a netarsudil da solo. Circa il
Classificazione per sistemi e organi Frequenza
Infezioni ed infestazioni
Raro
Disturbi del sistema immunitario Non comune
Patologie del sistema nervoso Non comune
Patologie dell’occhio
Molto comune
Comune
Non comune
Reazioni avverse
Cheratite erpetica2
Ipersensibilità
Cefalea, Contrazioni muscolari involontarie, Capogiro, Difetto del campo visivo3
Iperemia congiuntivale1, Cornea verticillata1, Dolore in sede di instillazione, Iperpigmentazione dell’iride2 , Cambiamenti delle ciglia o della peluria delle palpebre (allungamento, ispessimento, pigmentazione e aumento del numero delle ciglia)2
Emorragia della congiuntiva, Visione offuscata, Lacrimazione aumentata, Eritema della palpebra, Prurito oculare, Irritazione oculare, Acuità visiva ridotta, Edema delle palpebre, Cheratite puntata, Disturbo corneale, Edema congiuntivale, Congiuntivite allergica, Dolore oculare, Occhio secco, Sensazione di corpo estraneo negli occhi, Croste del margine palpebrale, Blefarite, Eritema in sede di instillazione, Fastidio in sede di instillazione, Colorazione vitale della cornea presente
Prurito della palpebra, Disturbo della congiuntiva, Opacità corneale, Secrezione oculare, Depositi corneali, Congiuntivite, Dacriostenosi acquisita, Infiammazione oculare, Parestesia dell’occhio, Follicoli della congiuntiva, Tumefazione degli occhi, Disfunzione delle ghiandole di Meibomio, Pigmentazione corneale, Diplopia, Congiuntivite non infettiva, Sensibilità oculare anormale, Cheratite, Disturbo della rifrazione, Flare della camera anteriore, Irritazione della congiuntiva, Pressione intraoculare aumentata, Eruzione cutanea della palpebra, Secchezza cutanea della palpebra, Crescita delle ciglia, Affezione lacrimale, Irite, Compromissione della visione, Distrofia della cornea, Secchezza in sede di instillazione, Prurito in sede di instillazione, Reazione in sede di instillazione, Complicazione oculare associata a dispositivo, stanchezza, Parestesia in sede di instillazione, Edema maculare, incluso edema maculare cistoide2 , Uveite2 , Iperemia oculare, Retinopatia diabetica3, Allergia oculare3, Fastidio oculare, Disturbo palpebrale3, Ectropion3, Opacità lenticolari3, Astenopia3, Iperemia episclerale3, Visione con alone3, Infiammazione della camera anteriore3, Cecità3, Congiuntivocalasia, Eczema delle palpebre3, Glaucoma3, Aderenze dell’iride3, Iride bombé3, Ipertensione dell’occhio3, Irritazione in sede di instillazione3, Occhi vitrei3, Edema in sede di instillazione3, Colorazione della congiuntiva3, Rapporto fovea/disco del nervo ottico aumentato3, Madarosi3 Pigmentazione delle palpebre, Disturbi dell’occhio, Emorragia retinica, Fotofobia
Classificazione per sistemi e organi
Frequenza
Raro
Patologie cardiache
Patologie respiratorie, toraciche e mediastiniche
Patologie gastrointestinali
Patologie della cute e del tessuto sottocutaneo
Molto raro
Non nota
Non comune
Reazioni avverse
Edema corneale2 , Erosione della cornea2 , Edema periorbitale2 , Trichiasi2 , Distichiasi2 , Cisti dell’iride2 , Reazione cutanea localizzata sulle palpebre2 , Scurimento della pelle delle palpebre2 , Pseudopemfigoide della congiuntiva oculare2
Alterazioni periorbitali e palpebrali che provocano un approfondimento del solco palpebrale2
Edema corneale epiteliale reticolare3
Angina2 , Palpitazioni2
Molto raro Angina instabile2
Non comune
Patologie del sistema muscoloscheletrico e del tessuto connettivo
Patologie generali e condizioni relative alla sede di somministrazione
Traumatismi, intossicazioni e complicazioni da procedura
Raro
Non comune
Comune
Non comune
Epistassi, Congestione nasale, Fastidio nasale3, Rinalgia3
Asma2 , Dispnea2
Esacerbazione di asma2
Nausea, Vomito
Dermatite da contatto
Lichenificazione, Cute secca, Eritema, Malattia della pelle, Dermatite allergica3 Petecchie, Eczema
Raro Prurito2
Non comune
Non comune
Dolore alla mandibola/mascella, Mialgia2 , Artralgia2 , Policondrite3, Debolezza muscolare, Sindrome di Sjögren
Dolore toracico2
Non comune Escoriazione3
1 Per ulteriori informazioni, vedere Descrizione di reazioni avverse selezionate
2 Ulteriore reazione avversa osservata con latanoprost in monoterapia
3 Ulteriore reazione avversa osservata con netarsudil in monoterapia
67% dei soggetti inclusi nei gruppi di trattamento con latanoprost + netarsudil degli studi di fase 3 era caucasico e il 30% nero o afroamericano. Oltre la metà aveva un’età ≥65 anni. Ad eccezione dell’incidenza della cornea verticillata (paragrafo 4.8), non sono state osservate altre differenze nel profilo di sicurezza tra razze o fasce di età. I tassi di completamento negli studi 301 e 302 erano inferiori nei gruppi trattati con latanoprost + netarsudil e con netarsudil rispetto al gruppo trattato con latanoprost. I tassi di sospensione dovuti a eventi avversi al mese 3 sono stati dell’8,7% per il gruppo trattato con latanoprost + netarsudil aggregato rispetto al 7,6% per il gruppo trattato con netarsudil aggregato e all’1% per il gruppo trattato con latanoprost aggregato. I tassi di sospensione dovuti a eventi avversi al mese 12 nello studio 301 sono stati del 19,7% per il gruppo trattato con latanoprost + netarsudil rispetto al 21,7% per il gruppo trattato con netarsudil e all’1,7% per il gruppo trattato con latanoprost. La maggior parte delle sospensioni era associata a eventi di natura oculare. L’evento avverso più frequentemente segnalato, associato alla sospensione nel gruppo trattato con latanoprost + netarsudil è stata l’iperemia della congiuntiva (7,6% al mese 12). Nella maggior parte dei casi gli eventi avversi riferiti con latanoprost + netarsudil erano di intensità lieve. Lo Studio 303 era uno studio prospettico in doppio cieco, randomizzato, multicentrico, con controllo attivo, a gruppi paralleli, della durata di 6 mesi, volto a valutare la sicurezza e l’efficacia ipotensiva sull’occhio di latanoprost + netarsudil rispetto a bimatoprost + timololo in 430 soggetti con pressione intraoculare elevata. I soggetti sono stati randomizzati a un regime di trattamento programmato a dose fissa con latanoprost + netarsudil (218 soggetti), una goccia una volta al giorno (QD) ogni sera in entrambi gli occhi (OU) o al trattamento di confronto bimatoprost + timololo (212 soggetti) una goccia QD ogni sera OU per circa 180 giorni dopo un periodo di washout. L’esito primario di efficacia era il confronto di latanoprost + netarsudil rispetto a bimatoprost + timololo per la IOP media in punti temporali specifici alla Settimana 2, Settimana 6 e al Mese 3. L’analisi primaria è stata eseguita sulla popolazione ITT con imputazione tramite metodo Monte Carlo basato su Catena di Markov (Markov Chain Monte Carlo, MCMC). Questa analisi ha dimostrato la non inferiorità clinica della soluzione oftalmica latanoprost + netarsudil rispetto a bimatoprost + timololo con dosaggio QD nella popolazione ITT entro il limite superiore dell’IC al 95% con una differenza (latanoprost + netarsudil - bimatoprost + timololo) ≤ 1,5 mmHg in tutti e 9 i punti temporali e ≤ 1 mmHg nella maggior parte (6 su 9) dei punti temporali dalla Settimana 2 fino al Mese 3, in conformità ai criteri di successo. La soglia per la non inferiorità clinica di latanoprost + netarsudil QD rispetto a bimatoprost + timololo QD (la differenza tra gruppi ≤ 1,5 mmHg) è stata dimostrata nella popolazione PP in 8 punti temporali su 9 (08:00, 10.00 e 16:00) alla Settimana 2, fino al Mese 3 utilizzando il metodo MCMC. Tuttavia, la non inferiorità clinica non è stata rispettata complessivamente, dal momento che al punto temporale 08:00 della Settimana 6, il limite superiore dell’IC al 95% era di 1,55. Complessivamente, c’è stata una riduzione media della IOP nel corso della giornata di circa 9,5 mmHg sia tra il gruppo latanoprost + netarsudil che tra il gruppo bimatoprost + timololo. Il tasso di sospensione complessivo dal trattamento dello studio dovuto a TEAE è stato dell’11,2%. Un numero superiore di soggetti nel gruppo di trattamento latanoprost + netarsudil QD ha sospeso il trattamento dello studio a causa di TEAE (20,2%) rispetto al gruppo bimatoprost + timololo QD (1,9%), e la maggior parte dei TEAE che hanno causato la sospensione erano TEAE oculari. In nessun gruppo di trattamento sono stati segnalati eventi avversi gravi associati al trattamento, e il profilo di sicurezza rimane coerente con il profilo noto per latanoprost + netarsudil e/o latanoprost o netarsudil come monoterapia. L’efficacia e la sicurezza di latanoprost + netarsudil in soggetti con epitelio corneale compromesso o patologie oculari coesistenti, ad es. la sindrome pseudoesfoliativa e quella da dispersione del
Figura 1. PIO media (mmHg) per gruppo di trattamento e di erenza della PIO media tra i trattamenti dello studio 301
Roclanda Netarsudil Latanoprost
Giorno 15 (08:00)
latanoprost + netarsudil vs netarsudil, IC 95%
latanoprost + netarsudil vs latanoprost, IC 95%
Giorno 15 (10:00) Giorno 15 (16:00) Giorno 43 (08:00) Giorno 43 (10:00) Giorno 43 (16:00) Giorno 90 (08:00) Giorno 90 (10:00) Giorno 90 (16:00)
(2,5-3,6)
(1,7-2,8)
(2,4-3,6)
(2,0-3,2)
(1,7-2,8)
(2,5-3,8)
(1,3-2,5)
(1,1-2,2)
La PIO media (LS) in ciascuno dei punti temporali post-basali è stata calcolata utilizzando un’analisi della covarianza aggiustata per la PIO basale e basata sui dati osservati in tutti i soggetti randomizzati (238 nel gruppo latanoprost + netarsudil, 244 nel gruppo netarsudil, 236 nel gruppo latanoprost).
2. PIO media (mmHg) per gruppo di trattamento e di erenza della PIO media tra i trattamenti dello studio 302
latanoprost + netarsudil vs netarsudil, IC 95%
latanoprost + netarsudil vs latanoprost, IC 95%
Figura
pigmento, non sono state stabilite. Popolazione pediatrica L’Agenzia europea dei medicinali ha previsto l’esonero dall’obbligo di presentare i risultati degli studi con Roclanda in tutti i sottogruppi della popolazione pediatrica per la riduzione della pressione intraoculare elevata in pazienti con glaucoma ad angolo aperto o ipertensione oculare (vedere paragrafo 4.2 per informazioni sull’uso pediatrico). 5.2 Proprietà farmacocinetiche Assorbimento Le esposizioni sistemiche a netarsudil e al suo metabolita attivo, AR-13503, sono state valutate in 18 soggetti sani dopo somministrazione oftalmica topica di netarsudil 200 microgrammi/mL una volta al giorno (una goccia bilateralmente al mattino) per 8 giorni. Non erano riscontrabili concentrazioni plasmatiche quantificabili di netarsudil [limite inferiore di quantificazione (LLOQ) 0,100 ng/mL] dopo la somministrazione della dose al giorno 1 e al giorno 8. È stata osservata soltanto una concentrazione plasmatica di 0,11 ng/mL del metabolita attivo per un soggetto al giorno 8, 8 ore dopo la somministrazione della dose. Latanoprost (peso molecolare 432,58) è un profarmaco esterificato con un gruppo isopropile, di per sé inattivo, che diventa biologicamente attivo dopo reazione di idrolisi nella forma acida. Il profarmaco è ben assorbito attraverso la cornea e tutto il principio attivo che entra nell’umore acqueo viene idrolizzato durante il passaggio attraverso la cornea. Gli studi sull’uomo indicano che il picco di concentrazione nell’umore acqueo viene raggiunto circa due ore dopo la somministrazione per via topica. Dopo instillazione locale nella scimmia, latanoprost si distribuisce soprattutto nel segmento anteriore, nella congiuntiva e nelle palpebre. Solo piccole quantità di latanoprost raggiungono il segmento posteriore. Biotrasformazione Dopo somministrazione oftalmica topica, netarsudil viene metabolizzato dalle esterasi nell’occhio in un metabolita attivo, AR-13503. La forma acida di latanoprost non viene praticamente metabolizzata nell’occhio. Il metabolismo principale avviene nel fegato. Nell’uomo l’emivita plasmatica è di 17 minuti. Gli studi sugli animali hanno dimostrato che i metaboliti principali (1,2-dinor e 1,2,3,4-tetranor) non esercitano alcuna o solo una debole attività biologica e sono escreti soprattutto nell’urina. 5.3 Dati preclinici di sicurezza Netarsudil I dati preclinici relativi a netarsudil non rivelano rischi particolari per l’uomo sulla base di studi convenzionali di sicurezza farmacologica, tossicità a dosi ripetute, genotossicità e tossicità dello sviluppo. Negli studi preclinici sono stati osservati effetti soltanto a esposizioni considerate sufficientemente superiori alla massima esposizione nell’uomo, il che indica una scarsa rilevanza clinica. La somministrazione endovenosa di netarsudil a ratti e conigli in gravidanza durante l’organogenesi non ha prodotto effetti embriofetali avversi a esposizioni sistemiche clinicamente rilevanti. Nei ratti in gravidanza, la dose di 0,1 mg/kg/die non ha mostrato effetti avversi materni o embriofetali, mentre un dosaggio pari o superiore a 0,3 mg/kg/die ha mostrato un aumento della perdita post-impianto e una riduzione della vitalità fetale. Nei conigli in gravidanza, la dose di 3 mg/kg/die non ha mostrato effetti materni o embriofetali, mentre la dose di 5 mg/kg/die ha mostrato un aumento della perdita post-impianto e una riduzione ponderale del feto. Non sono stati condotti studi a lungo termine su animali per valutare il potenziale cancerogeno di netarsudil. Netarsudil non è risultato mutageno in un saggio di mutazione batterica, in un saggio sul linfoma murino o in un test del micronucleo nel ratto. È stato scoperto che netarsudil e il suo metabolita attivo AR-13503 possiedono un potenziale fototossico in un saggio in vitro 3T3 NRU-PT modificato, in cui la lunghezza d’onda è stata estesa per includere la luce UVB. Latanoprost La tossicità oculare di latanoprost, al pari di quella sistemica, è stata valutata in diverse specie animali. In genere latanoprost è ben tollerato, con un margine di sicurezza tra dose clinica oculare e tossicità sistemica di almeno 1 000 volte. Dosi elevate di latanoprost, pari a circa 100 volte la dose clinica/kg di peso corporeo, somministrate a scimmie non anestetizzate per via endovenosa hanno dimostrato un aumento della frequenza respiratoria probabilmente indotta da broncocostrizione di breve durata. Negli studi sugli animali latanoprost non ha evidenziato proprietà sensibilizzanti. Non sono stati osservati effetti tossici nell’occhio con dosi fino a 100 microgrammi/occhio/die nel coniglio o nella scimmia (la dose clinica è di circa 1,5 microgrammi/occhio/die). Nella scimmia, comunque, latanoprost ha dimostrato di indurre un aumento della pigmentazione dell’iride. La pigmentazione sembra essere determinata da una stimolazione della produzione di melanina nei melanociti dell’iride; non sono state osservate alterazioni di tipo proliferativo. L’alterazione del colore dell’iride può essere permanente. Studi di tossicità oculare cronica hanno inoltre dimostrato che la somministrazione di 6 microgrammi/occhio/ die di latanoprost può indurre un allargamento della rima palpebrale. Questo effetto è reversibile e si verifica in seguito alla somministrazione di dosi superiori alla dose clinica. Tale effetto non è stato riscontrato nell’uomo. Latanoprost è risultato negativo nei test di mutazione inversa nei batteri, di mutazione genica nel linfoma murino e nel test del micronucleo nel topo. Aberrazioni cromosomiche sono state osservate in vitro su linfociti umani. Effetti simili sono stati osservati con la prostaglandina F2α, una prostaglandina di origine naturale; ciò sta ad indicare che si tratta di un effetto di classe. Ulteriori studi di mutagenesi in vitro/in vivo nel ratto, su sintesi di DNA non programmata, hanno dato risultati negativi e indicano che latanoprost non ha proprietà mutagene. Studi di carcinogenesi sul topo e sul ratto sono risultati negativi. Gli studi sugli animali hanno dimostrato che latanoprost non ha effetto sulla fertilità maschile o femminile. Negli studi di tossicità embrionale sul ratto non è stata riscontrata tossicità embrionale con dosi di latanoprost (5, 50 e 250 microgrammi/kg/die) per via endovenosa. Comunque latanoprost induce effetti letali per l’embrione nel coniglio alla dose di 5 microgrammi/kg/die e a dosi superiori. La dose di 5 microgrammi/kg/die (circa 100 volte la dose clinica) ha causato tossicità embrionale e fetale significativa, caratterizzata da aumentata incidenza di riassorbimento ritardato e aborto e da peso fetale ridotto. Non è stato rilevato alcun potenziale teratogeno. 6. INFORMAZIONI FARMACEUTICHE 6.1 Elenco degli eccipienti Benzalconio cloruro Mannitolo (E 421) Acido borico Sodio idrossido (E 524) (per la regolazione del pH) Acqua per preparazioni iniettabili 6.2 Incompatibilità Non pertinente. 6.3 Periodo di validità 3 anni. Flacone aperto: 4 settimane dopo la prima apertura del flacone. Non conservare a temperatura superiore a 25°C. 6.4 Precauzioni particolari per la conservazione Conservare in frigorifero (2°C – 8°C). Conservare nella confezione originale per proteggere il medicinale dalla luce. Per le condizioni di conservazione dopo la prima apertura vedere paragrafo 6.3. 6.5 Natura e contenuto del contenitore Roclanda viene fornito in flaconi di polietilene trasparente a bassa densità (2,5 mL di contenuto in un contenitore da 4 mL) e punte in polipropilene a bassa densità con tappi a vite in polipropilene bianco e sigilli anti-manomissione. Scatola contenente 1 o 3 flaconi. È possibile che non tutte le confezioni siano commercializzate. 6.6 Precauzioni particolari per lo smaltimento Il medicinale non utilizzato e i rifiuti derivati da tale medicinale devono essere smaltiti in conformità alla normativa locale vigente.
7. TITOLARE DELL’AUTORIZZAZIONE ALL’IMMISSIONE IN COMMERCIO Santen Oy Niittyhaankatu 20 33720 Tampere Finlandia
8. NUMERO(I) DELL’AUTORIZZAZIONE ALL’IMMISSIONE IN COMMERCIO EU/1/20/1502/001 EU/1/20/1502/002
9. DATA DELLA PRIMA AUTORIZZAZIONE/RINNOVO DELL’AUTORIZZAZIONE
Data della prima autorizzazione: 7 gennaio 2021 Data del rinnovo più recente: 14 agosto 2025
10. DATA DI REVISIONE DEL TESTO 08/2025
Informazioni più dettagliate su questo medicinale sono disponibili sul sito web dell’Agenzia europea dei medicinali, https://www.ema.europa.eu.
CLASSIFICAZIONE AI FINI DELLA FORNITURA, REGIME DI RIMBORSABILITÀ E PREZZO Roclanda “50 mcg/ml/200 mcg/ml - collirio, soluzione - uso oftalmico - flacone (HDPE)” 2,5 ml - 1 flacone (AIC n. 049317011/E) Classificazione ai fini della fornitura: Medicinale soggetto a ricetta medica ripetibile (RR) Regime di rimborsabilità: classe A Prezzo al pubblico (IVA inclusa): € 14,00
Codice AIFA: ROC-IT-250019
Pubblicità rivolta ai medici depositata presso AIFA in data 24/09/2025. VIETATA LA DISTRIBUZIONE/ESPOSIZIONE AL PUBBLICO
Roclanda®, l’associazione fissa che agisce anche sul trabecolato: l’evoluzione nel trattamento del glaucoma* 1-2

riduce efficacemente la IOP agendo sul tessuto trabecolare disfunzionale 2-6
é una combinazione fissa contenente un inibitore del fattore ROCK 2, un’evoluzione nella gestione terapeutica del glaucoma 1
i meccanismi d’azione complementari di latanoprost e netarsudil sono in grado di aumentare il deflusso sia trabecolare che uveosclerale 2
è stato considerato ben tollerato 7, senza eventi avversi seri correlati al trattamento 2,4
Roclanda®, una valida opzione di prima scelta 1 nel passaggio dalla monoterapia 2
Roclanda® è indicato per la riduzione della pressione intraoculare (IOP) elevata in pazienti adulti con glaucoma primario ad angolo aperto o ipertensione dell’occhio nei quali la monoterapia con una prostaglandina o netarsudil determini una riduzione della IOP insufficiente. 2
*Glaucoma primario ad angolo aperto
CLASSIFICAZIONE AI FINI DELLA FORNITURA, REGIME DI RIMBORSABILITÀ E PREZZO
Roclanda® “50 mcg/ml/200 mcg/ml - collirio, soluzione - uso oftalmicoflacone (HDPE)” 2,5 ml - 1 flacone (AIC n. 049317011/E)
Classificazione ai fini della fornitura: Medicinale soggetto a ricetta medica ripetibile (RR)
Regime di rimborsabilità: classe A
Prezzo al pubblico (IVA inclusa): € 14,00
Bibliografia: 1. Schehlein EM et al. Drugs 2019; 79:1031-1036. 2. Roclanda®. Riassunto delle Caratteristiche del Prodotto 3. Buffault J.J Clian Med 2022; 11:1001. 4. Stalmans l et al. Graefe’s Arch Clin Exp Ophthalmol 2023. https://doi.org/10.1007/s00417-023-06192-0.
5. Al-Humimat G et al. J Experiment Pharmacol 2021; 13:197-212. 6. Moshirfar M et al. Med Hypothesis Discov Innov Ophthalmol 2018; 7(3): 101-111. 7. Roclanda.European Public Assessment Report (EPAR). EMA/CHMP/637805/November 2020
Codice AIFA: ROC-IT-250019 Pubblicità rivolta ai medici Vietata la distribuzione/esposizione al pubblico. Depositato presso AIFA in data 24/09/2025
