101033913

Page 1


SPIS TREŚCI

CZĘŚĆ OGÓLNA

1.

Techniki rentgenowskie i techniki medycyny nuklearnej 3 Tomasz Wolak

1.1. Techniki rentgenowskie 3

1.1.1. Podstawy fizyczne – wytwarzanie promieniowania X 3

1.1.2. Budowa lampy rentgenowskiej 5

1.1.3. Geometria obrazowania 5

1.1.4. Budowa aparatu RTG 6

1.1.5. Budowa tomografu komputerowego 8

1.1.6. Bezpieczeństwo stosowania 10

1.1.7. Własności obrazu 10

1.2. Techniki medycyny nuklearnej 11

1.2.1. Pozytonowa tomografia emisyjna (positron emission tomography, PET) 11

2.

Techniki obrazowania – ultrasonografia (USG) 15 Tomasz Wolak

2.1. Podstawy fizyczne 15

2.2. Budowa urządzenia 17

2.3. Bezpieczeństwo stosowania 18

2.4. Własności obrazu 18

2.5. Zastosowania 19

3. Techniki obrazowania – rezonans magnetyczny 21

Tomasz Wolak

3.1. Podstawy fizyczne 21

3.2. Precesja protonu 22

3.3. Proces relaksacji – czasy T1 i T2 23

3.4. Jak interpretować czasy relaksacji? 24

3.5. Kontrast tkankowy 25

3.6. Kodowanie przestrzeni, czyli jak rozpoznać, skąd pochodzi sygnał rezonansu magnetycznego 28

3.7. Budowa urządzenia 29

3.8. Bezpieczeństwo stosowania 30

3.9. Własności obrazu 31

4.

Badania obrazowe – ryzyko i ochrona 35 Ryszard Kowski, Bogdan Pruszyński, Andrzej Cieszanowski

4.1. Ryzyko związane z badaniami ultrasonograficznymi (fala dźwiękowa) 35

4.2. Ryzyko związane z badaniami techniką rezonansu magnetycznego (fala elektromagnetyczna w zakresie radiowym) 35

4.3. Promieniowanie jonizujące 36

4.4. Ochrona radiologiczna 37

4.5. Skutki działania promieniowania na organizm 37

4.6. Grupy narażenia z punktu widzenia ochrony radiologicznej 37

4.7. Badania rentgenowskie (fala elektromagnetyczna w zakresie promieniowania jonizującego) 38

4.8. Powikłania występujące w przebiegu badań angiograficznych 39

4.9. Reakcje uboczne po śródnaczyniowym podaniu środków kontrastujących 39

4.10. Badania izotopowe (fala elektromagnetyczna w zakresie promieniowania jonizującego) 39

5.

Środki kontrastowe 41 Marek Gołębiowski, Katarzyna Sułkowska

5.1. Definicja 41

5.2. Środki cieniujące 41

5.2.1. Środki cieniujące negatywne 41

5.2.2. Środki cieniujące pozytywne 41

5.2.3. Reakcje niepożądane 42

5.2.4. Ostre pokontrastowe uszkodzenie nerek 42

5.3. Środki kontrastowe stosowane w MR 43

5.3.1. Charakterystyka 43

5.3.2. Reakcje niepożądane 43

5.4. Środki kontrastowe stosowane w USG 44

6.

Podstawy interpretacji badań obrazowych 45

Andrzej Cieszanowski, Bogdan Pruszyński

6.1. Ogólna interpretacja wyników badań i nazewnictwo objawów występujących w różnych technikach obrazowych 45

6.1.1. Konwencjonalne badania radiologiczne (RTG) 45

6.1.2. Badanie jedno- i dwukontrastowe przewodu pokarmowego 45

6.1.3. Tomografia komputerowa (TK) 46

6.2. Objawy o znaczeniu rozpoznawczym przed podaniem środka kontrastowego 46

6.2.1. Ogniska hiperdensyjne 46

6.2.2. Ogniska hipodensyjne 47

6.2.3. Ocena obrazu po podaniu dożylnym jodowego środka cieniującego 47

6.2.4. Charakter unaczynienia zmiany 48

6.2.5. Rezonans magnetyczny (Magnetic resonance, MR) 48

6.2.6. Ultrasonografia 51

7.

Anatomia radiologiczna 55

Marek Gołębiowski, Monika Bekiesińska-Figatowska, Andrzej Cieszanowski

7.1. Mózgowie 55

7.2. Kręgosłup 59

7.3. Klatka piersiowa 63

7.4. Jama brzuszna 67

7.5. Miednica 76

CZĘŚĆ SZCZEGÓŁOWA

8.

Ośrodkowy układ nerwowy 83

Marek Gołębiowski, Monika Bekiesińska-Figatowska

8.1. Metody obrazowania 83

8.2. Choroby ośrodkowego układu nerwowego 83

8.2.1. Urazy 83

8.2.2. Samoistne krwawienie podpajęczynówkowe i tętniaki mózgu 87

8.2.3. Choroba Alzheimera i inne przyczyny otępienia 88

8.2.4. Wodogłowie 89

8.2.5. Zapalenia mózgu i opon mózgowo-rdzeniowych 90

8.2.6. Stwardnienie rozsiane (sclerosis multiplex, SM) 93

8.2.7. Padaczka 94

9.

Udar niedokrwienny mózgu 97

Jerzy Walecki, Agnieszka Kwiatkowska-Miernik, Piotr Gustaw Wasilewski

9.1. Informacje ogólne 97

9.2. Diagnostyka obrazowa 97

9.2.1. Faza nadostra udaru – obrzęk cytotoksyczny 97

9.2.2. Faza ostra udaru (acute stroke) 101

9.2.3. Faza podostra udaru (subacute stroke) 102

9.2.4. Faza przewlekła udaru (chronic stroke) 103

9.3. Udar – podział 104

9.3.1. Udar lakunarny 104

9.3.2. Udar „ostatniej łączki” (hemodynamiczny) 104

9.3.3. Udar w mechanizmie zatorowym (kardiogenny) 105

9.3.4. Udar żylny 105

10.

Guzy ośrodkowego układu nerwowego 107

Jerzy Walecki, Michał Frączek, Bartosz Mruk, Piotr Gustaw Wasilewski, Agnieszka Kwiatkowska-Miernik

10.1. Informacje ogólne 107

10.2. Metody obrazowania 107

10.3. Radiologiczna metodyka różnicowania guzów OUN 108

10.4. Systematyka i cechy radiologiczne guzów OUN u dorosłych 108

10.4.1. Nowotwory gleju gwiaździstego 108

10.4.2. Nowotwory gleju skąpowypustkowego 110

10.4.3. Gruczolaki przysadki mózgowej 111

10.4.4. Nowotwory opon mózgowo-rdzeniowych 112

10.4.5. Chłoniaki i nowotwory układu krwiotwórczego 112

10.4.6. Zmiany przerzutowe w OUN 112

11. Twarzoczaszka i kość skroniowa 113

11.1. Jama nosa i zatoki przynosowe 113

11.1.1. Uwagi ogólne i anatomia radiologiczna 113

11.1.2. Metody obrazowania 115

11.1.3. Choroby w obrębie jamy nosowej i zatok przynosowych 116

11.2. Oczodoły 118

11.2.1. Uwagi ogólne i anatomia radiologiczna 118

11.2.2. Metody obrazowania 119

11.2.3. Choroby w obrębie oczodołów 119

11.3. Urazy twarzoczaszki 119

11.4. Kość skroniowa 121

11.4.1. Uwagi ogólne i anatomia radiologiczna 121

11.4.2. Metody obrazowania 121

11.4.3. Choroby w obrębie kości skroniowej 122

12.

Szyja 125

Emilia Wnuk, Agnieszka Trojanowska, Katarzyna Dobruch-Sobczak

12.1. Uwagi ogólne i anatomia radiologiczna 125

12.2. Metody obrazowania 129

12.2.1. Tomografia komputerowa (TK) 129

12.2.2. Rezonans magnetyczny (magnetic resonance, MR) 129

12.2.3. Ultrasonografia (USG) 130

12.2.4. Rentgenowskie badanie kontrastowe 130

12.2.5. PET-TK 130

12.3. Choroby gardła i jamy ustnej 130

12.3.1. Nosogardło 130

12.3.2. Gardło ustne i jama ustna 131

12.3.3. Gardło dolne i krtań 133

12.3.4. Inne patologie szyi 134

12.4. Ślinianki 135

12.4.1. Uwagi ogólne i anatomia radiologiczna 135

12.4.2. Metody obrazowania 135

12.4.3. Choroby ślinianek 137

12.5. Tarczyca 138

12.5.1. Uwagi ogólne i anatomia radiologiczna 138

12.5.2. Choroby tarczycy 139

12.6. Przytarczyce 140

12.7. Zmiany po leczeniu onkologicznym 141

13.

Diagnostyka obrazowa płuc, opłucnej i śródpiersia 143

Katarzyna Błasińska, Anna Chodorowska

13.1. Informacje ogólne 143

13.2. Metody diagnostyczne 143

13.2.1. RTG klatki piersiowej 143

13.2.2. Tomografia komputerowa (TK) 146

13.2.3. Ultrasonografia (USG) 146

13.2.4. Rezonans magnetyczny (magnetic resonance, MR) 146

13.3. Objawy radiologiczne chorób klatki piersiowej 148

13.3.1. Zniekształcenie klatki piersiowej 148

13.3.2. Objętość płuc 148

13.3.3. Przejrzystość płuc 149

13.4. Zapalenia płuc 163

13.4.1. Informacje ogólne 163

13.4.2. Diagnostyka obrazowa zapalenia płuc 164

13.4.3. Odoskrzelowe (zrazikowe) zapalenie płuc 164

13.4.4. Płatowe zapalenie płuc 165

13.4.5. Śródmiąższowe (atypowe) zapalenie płuc 165

13.4.6. Etiologia zapalenia płuc i dane kliniczne a obraz radiologiczny zapalenia płuc 166

13.4.7. Zapalenia płuc wywołane przez prątki gruźlicze i niegruźlicze 170

13.5. Nowotwory płuca 172

13.5.1. Rak płuca 172

13.5.2. Inne nowotwory płuca 179

13.5.3. Przerzuty 179

13.6. Nieinfekcyjne choroby ziarniniakowe płuc. Pylice 180

13.6.1. Choroby ziarniniakowe 180

13.6.2. Pylice 181

13.7. Choroby opłucnej 183

13.7.1. Informacje ogólne 183

13.7.2. Płyn w opłucnej 183

13.7.3. Odma opłucnowa 185

13.7.4. Zwapnienia w opłucnej 186

13.7.5. Zmiany nowotworowe opłucnej 187

13.8. Stany zagrożenia życia w badaniach obrazowych klatki piersiowej 188

13.8.1. Urazy klatki piersiowej 188

13.8.2. Zatorowość płucna 190

13.9. Diagnostyka obrazowa chorób śródpiersia 194

13.9.1. Zmiany zapalne 194

13.9.2. Guzy śródpiersia 194

14.

Serce 199

Ilona Michałowska, Katarzyna Gruszczyńska, Małgorzata Urbańczyk-Zawadzka

14.1. Uwagi ogólne i anatomia radiologiczna 199

14.2. Metody obrazowania serca 201

14.3. Choroba wieńcowa serca 202

14.3.1. Definicja 202

14.3.2. Metody obrazowania w chorobie wieńcowej 202

14.4. Niewydolność serca 204

14.4.1. Charakterystyka ogólna 204

14.4.2. Diagnostyka obrazowa niewydolności serca 205

14.5. Nabyte wady zastawkowe serca 209

14.5.1. Zwężenie zastawki aortalnej (stenoza aortalna –aortic stenosis, AS) 209

14.5.2. Niedomykalność aortalna (aortic insufficiency, IA) 210

14.5.3. Zwężenie zastawki mitralnej (stenoza mitralna –mitral stenosis, MS) 212

14.5.4. Niedomykalność mitralna (mitral regurgitation, MR) 213

14.5.5. Wady zastawki trójdzielnej 213

14.6. Infekcyjne zapalenie wsierdzia (IZW, endocarditis) 213

14.7. Wybrane wady wrodzone u dorosłych 214

14.7.1. Ubytek w przegrodzie międzyprzedsionkowej (atrial septal defect, ASD) 214

14.7.2. Koarktacja aorty (coarctation of the aorta, CoA) 216

14.7.3. Przetrwały przewód tętniczy (patent ductus arteriosus, PDA) 216

14.8. Zapalenie mięśnia sercowego (ZMS, myocarditis) 217

14.9. Zapalenie osierdzia (pericarditis) 218

14.10. Kardiomiopatie 219

14.10.1. Kardiomiopatia przerostowa (HCM) 220

14.10.2. Kardiomiopatia rozstrzeniowa (DCM) 220

14.10.3. Kardiomiopatia restrykcyjna (RCM) 221

14.11. Arytmogenna dysplazja prawej komory (ARVD/ARVC) 222

14.12. Guzy/zmiany guzopodobne wewnątrz- i przysercowe 222

14.12.1. Śluzak (myxoma) 223

14.12.2. Włókniak, mięśniak 224

14.12.3. Złośliwe pierwotne guzy serca 224

14.12.4. Wtórne nowotwory serca 226

14.12.5. Skrzeplina 226

15.

Gruczoł piersiowy 229

Elżbieta Łuczyńska, Wojciech Rudnicki, Tadeusz Popiela

15.1. Mammografia 229

15.1.1. Zmiany złośliwe 230

15.1.2. Zmiany łagodne w piersiach 231

15.1.3. Tomosynteza piersi 231

15.1.4. Mammografia spektralna ze wzmocnieniem kontrastowym (contrast enhanced spectral mammography, CESM) 232

15.2. Ultrasonografia 233

15.3. Rezonans magnetyczny 234

15.3.1. Uwagi ogólne 234

15.3.2. Elementy oceniane w MRI piersi oraz ich nazewnictwo 235

16.

Górny odcinek przewodu pokarmowego (GOPP)

przełyk, żołądek i dwunastnica 239

Witold Krupski

16.1. Wstęp do diagnostyki GOPP 239

16.1.1. Wiadomości ogólne i anatomia radiologiczna GOPP 239

16.1.2. Metody obrazowania GOPP 239

16.1.3. Środki kontrastowe stosowane w diagnostyce GOPP 239

16.1.4. Wskazania do badania radiologicznego GOPP 240

16.1.5. Symptomatologia radiologiczna w diagnostyce GOPP 240

16.2. Diagnostyka obrazowa chorób przełyku 240

16.2.1. Achalazja przełyku 240

16.2.2. Twardzina uogólniona 241

16.2.3. Zapalenie przełyku 242

16.2.4. Rak przełyku i połączenia przełykowo-żołądkowego 242

16.2.5. Uchyłki przełyku 243

16.2.6. Żylaki przełyku 244

16.2.7. Ciała obce w przełyku 244

16.2.8. Przepuklina rozworu przełykowego przepony (PRPP) 245

16.2.9. Diagnostyka przełyku operowanego 246

16.3. Diagnostyka obrazowa chorób żołądka i dwunastnicy 248

16.3.1. Choroba wrzodowa żołądka i dwunastnicy 248

16.3.2. Rak żołądka 249

16.3.3. Guzy podścieliskowe przewodu pokarmowego (żołądka) 249

16.3.4. Diagnostyka żołądka operowanego 250

17.

Wątroba 253

Andrzej Cieszanowski

17.1. Anatomia radiologiczna wątroby 253

17.2. Metody obrazowania wątroby 253

17.2.1. Ultrasonografia (USG) 253

17.2.2. Tomografia komputerowa (TK) 254

17.2.3. Rezonans magnetyczny (magnetic resonance, MR) 254

17.3. Choroby wątroby w badaniach obrazowych 257

17.3.1. Zmiany łagodne 257

17.3.2. Nowotwory złośliwe 265

17.3.3. Uogólnione choroby wątroby 270

18.

Drogi żółciowe 275

18.1. Anatomia radiologiczna 275

18.2. Metody obrazowania dróg żółciowych 275

18.2.1. Radiografia/cholangiografia kontrastowa 275

18.2.2. Ultrasonografia (USG) 276

18.2.3. Tomografia komputerowa (TK) 276

18.2.4. Badanie rezonansu magnetycznego (magnetic resonance, MR) 276

18.2.5. Pozytonowa tomografia emisyjna (positron emission tomography, PET, PET-TK) 276

18.2.6. Scyntygrafia 276

18.2.7. Techniki endoskopowe 276

18.3. Choroby dróg żółciowych – problemy kliniczne 277

18.3.1. Łagodne zmiany pęcherzyka żółciowego 277

18.3.2. Kamica pęcherzyka żółciowego i dróg żółciowych 279

18.3.3. Ostre zapalenie pęcherzyka żółciowego 280

18.3.4. Ostre wstępujące zapalenie dróg żółciowych 280

18.3.5. Przewlekłe zapalenie pęcherzyka żółciowego 281

18.3.6. Przewlekłe stwardniające zapalenie dróg żółciowych (primary sclerosing cholangitis, PSC) 281

18.3.7. Rak pęcherzyka żółciowego 282

18.3.8. Rak dróg żółciowych (cholangiocarcinoma, CCC) 283

19. Trzustka 285

Mariusz

19.1. Uwagi ogólne i anatomia radiologiczna 285

19.2. Metody obrazowania trzustki 286

19.2.1. Ultrasonografia (USG) 286

19.2.2. Tomografia komputerowa (TK) 286

19.2.3. Rezonans magnetyczny (magnetic resonance, MR) 286

19.2.4. Endoskopowa cholangiopankreatografia wsteczna (ECPW) 287

19.2.5. Ultrasonografia endoskopowa (endoscopic ultrasound, EUS) 287

19.2.6. Biopsja pod kontrolą ultrasonografii endoskopowej (EUS) 287

19.2.7. Pozytonowa tomografia komputerowa (positron emission tomography, PET-TK) lub PET-MR 287

19.3. Choroby trzustki w badaniach obrazowych 288

19.3.1. Ostre zapalenie trzustki (OZT) 288

19.3.2. Przewlekłe zapalenie trzustki (PZT) 290

19.3.3. Autoimmunologiczne zapalenie trzustki (autoimmune pancreatitis, AIP) 291

19.3.4. Nowotwory trzustki 292

19.3.5. Nowotwory torbielowate trzustki 295

20.

Jelito cienkie 301

Joanna Podgórska

20.1. Uwagi ogólne i anatomia radiologiczna 301

20.2. Metody obrazowania jelita cienkiego 301

20.2.1. Radiografia rentgenowska (RTG) 302

20.2.2. Rentgenowskie badania kontrastowe 303

20.2.3. Tomografia komputerowa (TK) 303

20.2.4. Ultrasonografia (USG) 304

20.2.5. Rezonans magnetyczny (MR) 304

20.3. Choroby jelita cienkiego 305

20.3.1. Zapalenia jelita cienkiego (enteritis, enterocolitis) z przykładami 305

20.3.2. Zapalenia popromienne 306

20.3.3. Nowotwory jelita cienkiego 306

20.3.4. Wybrane rzadsze choroby jelita cienkiego 308

21.

Jelito grube 311

Joanna Pieńkowska, Edyta Szurowska

21.1. Uwagi ogólne i anatomia radiologiczna 311

21.2. Metody obrazowania jelita grubego 311

21.2.1. Zdjęcie przeglądowe jamy brzusznej 311

21.2.2. Tomografia komputerowa (TK) 311

21.2.3. Kolonografia TK 311

21.2.4. Rezonans magnetyczny (magnetic resonance, MR) 312

21.2.5. Pozostałe metody obrazowe 312

21.3. Choroby jelita grubego w badaniach obrazowych 313

21.3.1. Polipy jelita grubego 313

21.3.2. Rak jelita grubego (RJG) 314

21.3.3. Uchyłki jelita grubego 316

21.3.4. Wrzodziejące zapalenie jelita grubego (WZJG) 317

21.3.5. Choroba Leśniowskiego–Crohna (ChC) 318

21.3.6. Niedokrwienne zapalenie jelita grubego 320

22.

Ostry brzuch 323

Luiza Grzycka-Kowalczyk, Andrzej Cieszanowski

22.1. Uwagi ogólne 323

22.2. Ból o charakterze rozlanym 328

22.2.1. Perforacja przewodu pokarmowego 328

22.2.2. Niedrożność jelit 329

22.2.3. Niedokrwienie jelit 332

23.

Układ moczowy 337

Andrzej Cieszanowski

23.1. Metody obrazowania układu moczowego 337

23.1.1. Ultrasonografia (USG) 337

23.1.2. Tomografia komputerowa (TK) 337

23.1.3. Rezonans magnetyczny (magnetic resonance, MR) 338

23.1.4. Zdjęcie przeglądowe jamy brzusznej 338

23.1.5. Urografia 339

23.1.6. Cystografia mikcyjna 340

23.1.7. Uretrografia 340

23.2. Wady rozwojowe i wady budowy 340

23.2.1. Nerki zrośnięte 340

23.2.2. Anomalie dotyczące kształtu i budowy nerek 340

23.2.3. Wady kielichów, miedniczek i moczowodów 341

23.3. Choroby torbielowate nerek 343

23.3.1. Torbiel prosta 343

23.3.2. Torbiele powikłane 343

23.3.3. Torbielowatość nerek typu dorosłych 345

23.3.4. Torbielowatość nerek nabyta 345

23.3.5. Choroby, w których występują torbiele nerek 345

23.4. Choroby zapalne nerek 345

23.4.1. Ostre odmiedniczkowe zapalenie nerek 345

23.4.2. Ropień nerki 346

23.4.3. Ropowica przynerkowa 346

23.4.4. Roponercze 347

23.4.5. Gazotwórcze odmiedniczkowe zapalenie nerek 347

23.4.6. Przewlekłe odmiedniczkowe zapalenie nerek (POZN) 347

23.4.7. Gruźlica nerek 348

23.5. Guzy nerek 348

23.5.1. Rak nerkowokomórkowy (RNK) 348

23.5.2. Rak przejściowokomórkowy 350

23.5.3. Angiomyolipoma (AML) –naczyniakomięśniakotłuszczak 351

23.5.4. Onkocytoma 352

23.5.5. Chłoniak 353

23.5.6. Przerzuty 353

23.6. Kamica nerkowa 353

23.7. Choroby pęcherza moczowego 354

23.7.1. Zapalenie pęcherza 354

23.7.2. Guzy pęcherza 355

23.7.3. Uchyłki pęcherza 355

23.7.4. Przetoki pęcherza 355

23.7.5. Kamica pęcherza moczowego 356

24. Nadnercza 359

Andrzej Cieszanowski

24.1. Uwagi ogólne i anatomia radiologiczna 359

24.2. Metody obrazowania nadnerczy 360

24.2.1. Tomografia komputerowa 360

24.2.2. Rezonans magnetyczny 361

24.2.3. Pozostałe metody obrazowe (USG, PET-TK, scyntygrafia, cewnikowanie żył nadnerczowych) 361

24.3. Choroby nadnerczy w badaniach obrazowych 362

24.3.1. Gruczolak kory nadnerczy 362

24.3.2. Rak kory nadnerczy 363

24.3.3. Guz chromochłonny (pheochromocytoma) 364

24.3.4. Inne zmiany: przerost kory nadnerczy 364

25.

Żeńska miednica mniejsza 367 Monika Bekiesińska-Figatowska

25.1. Metody obrazowania 367

25.2. Choroby żeńskiej miednicy mniejszej w obrazie MR 368

25.2.1. Torbielowate zmiany w jajnikach 368

25.2.2. Rak jajnika 372

25.2.3. Włókniak/włókniakootoczkowiak (fibroma/fibrothecoma) 374

25.2.4. Skręt jajnika 374

25.2.5. Wodniak/ropniak jajowodu (hydrosalpinx/pyosalpinx) 376

25.2.6. Ropień jajnikowo-jajowodowy (tubo-ovarian abscess, TOA) 376

25.2.7. Endometrioza pozajajnikowa (gruczolistość zewnętrzna) 377

25.2.8. Mięśniaki macicy (leiomyoma, fibroid) 378

25.2.9. Rak błony śluzowej trzonu macicy 379

25.2.10. Rak szyjki macicy 380

26.

Miednica męska 383

Edyta Szurowska, Katarzyna Skrobisz, Oliwia Kozak

26.1. Gruczoł krokowy 383

26.1.1. Uwagi ogólne i anatomia radiologiczna 383

26.1.2. Metody obrazowania gruczołu krokowego 384

26.1.3. Choroby gruczołu krokowego w badaniach obrazowych 384

26.2. Diagnostyka obrazowa pęcherzyków nasiennych 387

26.2.1. Uwagi ogólne i anatomia radiologiczna 387

26.2.2. Metody obrazowania pęcherzyków nasiennych 387

26.2.3. Choroby pęcherzyków nasiennych w badaniach obrazowych 388

26.3. Diagnostyka obrazowa żylaków powrózka nasiennego 389

26.4. Moszna 389

26.4.1. Anatomia i uwagi ogólne 389

26.4.2. Diagnostyka niepłodności męskiej 389

26.4.3. Diagnostyka stanów nagłych moszny 389

26.4.4. Wodniak jądra 390

26.4.5. Mikrolitiaza 390

26.4.6. Nowotwory jąder 391

27.

Kręgosłup (kanał kręgowy i rdzeń kręgowy) 393

Marek Sąsiadek, Joanna Bladowska

27.1. Uwagi ogólne i anatomia radiologiczna 393

27.2. Metody obrazowania kręgosłupa i kanału kręgowego 394

27.2.1. RTG 394

27.2.2. Tomografia komputerowa 394

27.2.3. Rezonans magnetyczny 395

27.2.4. Pozostałe metody obrazowe (USG, scyntygrafia, PET-TK, angiografia rdzeniowa, mielografia/mielografia TK, dyskografia/dyskografia TK) 395

27.3. Choroby kręgosłupa w badaniach obrazowych 396

27.3.1. Wady rozwojowe 396

27.3.2. Choroba zwyrodnieniowa kręgosłupa 398

27.3.3. Zmiany urazowe kręgosłupa 400

27.3.4. Nowotwory kręgosłupa i kanału kręgowego 402

27.3.5. Inne choroby kręgosłupa i kanału kręgowego 404

28.

Diagnostyka obrazowa układu mięśniowo-szkieletowego 407 Piotr Palczewski, Krzysztof Piłat

28.1. Uwagi ogólne i anatomia radiologiczna 407

28.2. Obrazowanie układu mięśniowo-szkieletowego 410

28.2.1. RTG 410

28.2.2. Tomografia komputerowa 411

28.2.3. Ultrasonografia (USG) 412

28.2.4. Rezonans magnetyczny 413

28.2.5. Medycyna nuklearna 414

28.3. Choroby układu mięśniowo-szkieletowego w badaniach obrazowych 415

28.3.1. Odmiany i wady budowy 415

28.3.2. Urazy 418

28.3.3. Choroby metaboliczne 425

28.3.4. Zmiany niedokrwienne kości 431

28.3.5. Zmiany w kościach indukowane radioterapią 432

28.3.6. Choroby stawów (artropatie) 433

28.3.7. Zapalenie kości i stawów 439

28.3.8. Guzy i zmiany guzopodobne kości i tkanek miękkich 441

28.4. Radiologia interwencyjna w ortopedii 448

29.

Urazy wielonarządowe 451

29.1. Uwagi ogólne 451

29.2. Metody obrazowe 452

29.2.1. Ultrasonografia FAST/eFAST 452

29.2.2. Radiografia konwencjonalna (RTG) 452

29.2.3. Tomografia komputerowa 452

30.

Choroby układu naczyniowego 461

Grzegorz Małek, Krzysztof Lamparski, Olgierd Rowiński

30.1. Aorta 461

30.1.1. Anatomia – podstawowe informacje 461

30.1.2. Wybrane odmiany anatomiczne i wady wrodzone 461

30.2. Naczynia odchodzące od łuku aorty 465

30.2.1. Zwężenie tętnicy szyjnej wewnętrznej 465

30.2.2. Zespół podkradania 466

30.2.3. Choroba Takayasu 467

30.3. Tętnice trzewne 467

30.3.1. Ostre niedokrwienie jelita 467

30.3.2. Przewlekłe niedokrwienie jelita 468

30.4. Tętnice nerkowe 468

30.4.1. Zwężenie tętnicy nerkowej 468

30.4.2. Dysplazja włóknisto-mięśniowa (fibromuscular dysplasia, FMD) 468

30.4.3. Niedokrwienie kończyn dolnych 469

30.5. Układ żylny: ultrasonografia dopplerowska 470

30.6. Podstawowe zastosowania kliniczne 471

30.6.1. Tętnice szyjne i kręgowe 471

30.6.2. Tętnice kończyn dolnych 473

30.6.3. Aorta i tętnice biodrowe 474

30.6.4. Tętnice nerkowe 474

30.6.5. Tętnice trzewne 475

30.6.6. Naczynia żylne kończyn 477

31.

Radiologia onkologiczna 479

Andrzej Cieszanowski, Jakub Pałucki

31.1. Uwagi ogólne 479

31.2. Metody obrazowania 479

31.2.1. Radiografia klasyczna 479

31.2.2. Tomografia komputerowa 479

31.2.3. Rezonans magnetyczny (tomografia rezonansu magnetycznego) 480

31.2.4. Ultrasonografia 483

31.3. Zastosowanie badań obrazowych w diagnostyce nowotworów w poszczególnych obszarach anatomicznych 484

31.4. Ocena stopnia zaawansowania nowotworów. Zastosowanie technik diagnostyki obrazowej (TK i MR) w ocenie TNM 485

31.5. Ocena odpowiedzi na leczenie onkologiczne 485

31.5.1. Podstawowe założenia RECIST 1.1. 485

31.5.2. Inne kryteria oceny odpowiedzi na leczenie onkologiczne 486

31.5.3. Skrining 486

32.

Radiologia pediatryczna 489

Elżbieta Jurkiewicz, Jarosław Mądzik, Monika Bekiesińska-Figatowska

32.1. Wady wrodzone ośrodkowego układu nerwowego (OUN) 489

32.1.1. Przepuklina oponowo-rdzeniowa (myelomeningocele, MMC) 489

32.1.2. Agenezja ciała modzelowatego (agenesis of the corpus callosum, ACC) 490

32.1.3. Zaburzenia migracji neuronów 490

32.2. Wrodzone choroby istoty białej 492

32.3. Choroby płuc u dzieci 492

32.3.1. Metody obrazowania 492

32.3.2. Odrębności obrazu klatki piersiowej u noworodków i niemowląt 493

32.3.3. Choroby układu oddechowego w okresie noworodkowym 493

32.3.4. Wady rozwojowe układu oddechowego 495

32.3.5. Zapalenie płuc 498

32.3.6. Zachłyśnięcie się ciałem obcym 500

32.4. Choroby serca i dużych naczyń u dzieci 502

32.4.1. Uwagi ogólne 502

32.4.2. Metody obrazowania 502

32.4.3. Typy wad 502

32.4.4. Najczęściej występujące wady wrodzone serca 502

32.5. Wybrane patologie przewodu pokarmowego występujące u dzieci 504

32.5.1. Uwagi ogólne 504

32.5.2. Metody obrazowania 504

32.5.3. Patologie występujące w okresie noworodkowym 504

32.5.4. Patologie występujące u niemowląt i dzieci młodszych 508

32.6. Urazy 511

32.7. Choroby układu moczowego u dzieci 514

32.7.1. Metody obrazowania 514

32.7.2. Anomalie rozwojowe i wady wrodzone układu moczowego 515

32.7.3. Inne wybrane patologie układu moczowego 518

32.8. Najczęstsze nowotwory występujące u dzieci 519

32.8.1. Wiadomości ogólne 519

32.8.2. Najczęściej występujące nowotwory złośliwe u dzieci do 15. roku życia 519

32.8.3. Nowotwory ośrodkowego układu nerwowego (OUN) 521

32.8.4. Inne wybrane nowotwory 527

33.

Radiologia interwencyjna 537

Grzegorz Rosiak, Krzysztof Korzeniowski, Olgierd Rowiński

33.1. Wstęp do zabiegów wewnątrznaczyniowcyh w pracowni angiograficznej 537

33.2. Wybrane zabiegi radiologii interwencyjnej 538

33.2.1. Embolizacja żyły wrotnej (portal vein embolization, PVE) 538

33.2.2. Przezszyjna przezwątrobowa przetoka wrotno-systemowa (transjugular intrahepatic portosystemic shunt, TIPSS) 539

33.2.3. Embolizacje guzów 539

33.2.4. Embolizacje w chorobach naczyń i krwawieniach 541

33.3. Wewnątrznaczyniowe leczenie zwężeń i niedrożności

tętnic obwodowych 541

33.3.1. Przyczyny zwężeń i stosowane techniki leczenia 541

33.3.2. Leczenie zwężenia tętnicy szyjnej 543

33.4. Wewnątrznaczyniowe leczenie zwężeń i niedrożności naczyń żylnych 544

33.5. Wewnątrznaczyniowe leczenie tętniaków aorty 544

33.6. Przezskórne interwencje na drogach żółciowych 544

33.7. Neuroradiologia interwencyjna 545

33.7.1. Badania diagnostyczne 545

33.7.2. Wybrane zabiegi radiologii interwencyjnej 545

33.8. Zabiegi pod kontrolą tomografii komputerowej 546

33.8.1. Biopsja 546

33.8.2. Drenaż ropnia 547

33.8.3. Ablacja 548

33.8.4. Leczenie przeciwbólowe 548

34. Wskazania do badań obrazowych 551

Joanna Podgórska, Andrzej Cieszanowski

Skorowidz 557

Uwagi ogólne i

TABELA 28.1.

SYGNAŁ SZPIKU

W PODSTAWOWYCH SEKWENCJACH MR

T1 < od tkanki tłuszczowej podskórnej > od mięśni i krążków międzykręgowych

T2 > od mięśni

STIR* Niepełne wygaszenie sygnału (pozostaje nieznacznie hiperintensywny)

Zbliżony do tkanki tłuszczowej podskórnej >> od mięśni i krążków międzykręgowych

Pełne wygaszenie sygnału (hipointensywny)

T1 FS* + kontrast • U dzieci może występować wyraźne wzmocnienie kontrastowe

• U dorosłych zarówno szpik czerwony jak i żółty nie wzmacniają się istotnie

* STIR, FS – sekwencje z wygaszeniem sygnału z tkanki tłuszczowej.

Rycina 28.4.

USG i MR przyśrodkowego przedziału udowo-piszczelowego stawu kolanowego. Na obrazie USG oznaczono: U – kość udowa, P – kość piszczelowa, * – łąkotka przyśrodkowa, strzałki – więzadło poboczne piszczelowe.

„ Błona maziowa oraz położone zewnątrzstawowo kaletki maziowe nie są widoczne w warunkach prawidłowych.

„ Struktury łącznotkankowe (torebki stawowe, więzadła, powięzie, rdzenie ścięgniste i ścięgna mięśni szkieletowych) mają niski sygnał w MR i są hiperechogeniczne w USG. Włókna mięśni szkieletowych mają niską echogeniczność w USG i niski sygnał w MR (niższy w obrazach T2-zależnych niż w T1-zależnych). Przyczepy więzadeł lub ścięgien do kości określa się terminem enteza

„ Nerwy obwodowe mają niski sygnał w MR i niską echogeniczność w USG.

28.2.

Obrazowanie układu mięśniowo-szkieletowego

28.2.1. RTG

Rentgenodiagnostyka stanowi wyjściowe badania obrazowe w ocenie większości patologii układu mięśniowo-szkieletowego.

Często jest to badanie jedyne i wystarczające.

„ RTG pozwala na ocenę: z struktury kostnej; z zmian uwapnienia tkanki kostnej;

z odczynów okostnowych (ryc. 28.5); z odkładania soli wapnia w tkankach miękkich; z położenia cieniujących implantów – protez, elementów zespalających/stabilizujących (tab. 28.2).

„ Nie ma przeciwwskazań do wykonania rentgenogramów układu kostnego. Dawki promieniowania jonizującego otrzymane w trakcie RTG kości są znacznie niższe od uznawanych za szkodliwe dla płodu; badając pacjentki ciężarne, należy stosować osłony chroniące płód.

„ Zdjęcia kostne standardowo wykonywane są przynajmniej w dwóch projekcjach – w dwóch prostopadłych do siebie płaszczyznach (ryc. 28.6). Żeby zwiększyć

cienkie blaszkowate grube spikularne

Ciągłe odczyny okostnej

nieregularne

Rycina 28.5.

Najczęściej spotykane odczyny okostnej.

trójkąt Codmana

Przerwane (agresywne) odczyny okostnej

Osteopenia (zanik kostny) Zmniejszone wysycenie struktur kostnych, redukcja liczby beleczek kostnych i grubości warstw korowych

Osteoskleroza Zwiększone wysycenie struktur kostnych, pogrubienie beleczek kostnych i warstw korowych, zatarcie zróżnicowania między kością gąbczastą i zbitą

Osteoliza Destrukcja tkanki kostnej z jej ogniskowym ubytkiem, może towarzyszyć odczyn sklerotyczny

Odczyny okostnej Zwapnienia w okostnej w odpowiedzi na jej podrażnienie

Zwapnienia i skostnienia pozaszkieletowe Depozyty soli wapnia w tkankach miękkich (bezpostaciowe lub o budowie dojrzałej kości)

• Uogólniona: osteoporoza starcza/pomenopauzalna (najczęstsza przyczyna), inne choroby metaboliczne i hematologiczne, dysplazje szkieletowe

• Miejscowa: z nieużywania/unieruchomienia, CRPS, zapalenie, osteoporoza wędrująca/przejściowa, nowotwory

Choroby metaboliczne, dysplazje szkieletowe, zapalenie i nowotwory

Zapalenie i nowotwory

Złamania, zapalenie, nowotwory

Choroby metaboliczne i reumatyczne, nowotwory kości i tkanek miękkich

TABELA 28.2.

16.3.2.

RAK ŻOŁĄDKA

„„ Gruczolakorak jest najczęściej występującym nowotworem żołądka.

„„ Czynnikami ryzyka raka żołądka są: z infekcja Helicobacter pylori; z palenie papierosów i picie alkoholu; z spożywanie pokarmów z wysoką zawartością związków azotowych i soli kuchennej.

„„ Objawy kliniczne raka żołądka: z spadek masy ciała; z bóle w nadbrzuszu; z wczesne uczucie poposiłkowej sytości; z nudności; z niedokrwistość.

Metodą diagnostyczną z wyboru jest gastroskopia, natomiast USG, a zwłaszcza TK są przydatne do oceny stopnia zaawansowania (klasyfikacja TNM) przed planowaniem leczenia skojarzonego.

„„ We fluoroskopii rak żołądka powoduje nieregularne ubytki zakontrastowania żołądka.

TK jest podstawową metodą do oceny stopnia zaawansowania raka żołądka – pozwala określić wielkość guza i jego stosunek do narządów sąsiednich (cecha M) oraz wykryć przerzuty do okolicznych węzłów chłonnych (N) i narządów odległych (M).

„„ W TK objawami raka żołądka są:

z nieregularne pogrubienie ścian żołądka;

z nierówne zarysy zewnętrzne ściany żołądka;

z wzrost gęstości tkanki tłuszczowej w bezpośrednim sąsiedztwie; z obecność powiększonych okolicznych węzłów chłonnych (ryc. 16.11).

16.3.3. GUZY PODŚCIELISKOWE PRZEWODU POKARMOWEGO (ŻOŁĄDKA)

Guzy podścieliskowe przewodu pokarmowego (gastrointestinal stromal tumors, GIST) są rzadkimi guzami mezenchymalnymi, powstającymi z komórek Cajala w mięśniowej warstwie żołądka lub ściany jelita.

„„ Żołądek jest najczęstszą (ok. 60%) lokalizacją GIST w przewodzie pokarmowym.

„„ Guzy GIST późno wywołują objawy kliniczne, dlatego mogą dorastać do dużych wymiarów i zwykle są wykry-

Rycina 16.11a–b. Rak żołądka – TK: (a) znaczne pogrubienie ścian żołądka z pasmowatymi tkankowymi wypustkami i wzrostem gęstości tkanki tłuszczowej w okolicy przedniej – cechy naciekania; w obrębie wątroby widoczne liczne, okrągłe obszary słabszego wzmocnienia kontrastowego – przerzuty; stopień zaawansowania T4aM1; (b) pogrubienie ścian krzywizny mniejszej żołądka z zatartym zarysem zewnętrznym i wzrostem gęstości tkanki tłuszczowej w bezpośrednim sąsiedztwie – cechy naciekania; pakiet powiększonych przerzutowo węzłów chłonnych w okolicy krzywizny mniejszej żołądka; stopień zaawansowania T4aN3a.

wane przypadkowo w badaniach TK i USG oraz endoskopii wykonywanych z innych wskazań.

„„ W TK najczęściej jest guzem okrągłym, o równych zarysach, często umiejscowionym poza światłem żołądka, rzadko w jego świetle. Zwykle jest pojedynczy. Ulega niejednorodnemu wzmocnieniu kontrastowemu i często wykazuje obecność centralnej martwicy.

z do oceny aktywności zmian zapalnych, przeciążeniowych/zwyrodnieniowych i unaczynienia guzów tkanek miękkich;

z w planowaniu zabiegów rekonstrukcyjnych.

„„ Wady:

z brak możliwości oceny tkanek zasłoniętych przez struktury kostne; z utrudniona ocena u osób otyłych lub z dużym obrzękiem tkanek miękkich; z zależność od doświadczenia osoby wykonującej badanie.

28.2.4.

REZONANS MAGNETYCZNY

Ze względu na wysoką rozdzielczość kontrastową MR umożliwia doskonałą ocenę tkanek miękkich. MR jest badaniem wysokospecjalistycznym stosowanym w wybranych przypadkach: w ocenie urazów (głównie sportowych i powikłanych niestabilnością/zablokowaniem stawu) oraz diagnostyce zapaleń i nowotworów układu mięśniowo-szkieletowego.

„„ W rutynowej diagnostyce stosowane są zarówno aparaty MR o indukcji pola 1,5 T i 3 T. Aparaty o indukcji 3 T pozwalają na uzyskanie obrazów o wyższej rozdzielczości przestrzennej, co jest przydatne w obrazowaniu małych stawów. Zazwyczaj (poza miednicą i stawami biodrowymi) do obrazowania stawów stosuje się dedykowane powierzchniowe cewki nadawczo-odbiorcze. Podstawę protokołu badania stanowią sekwencje szybkiego echa spinowego, w wybranych przypadkach uzupełnione

o sekwencje echa gradientowego. Ze względu na wysoki sygnał tkanki tłuszczowej (w obrazach szybkiego echa) stosuje się obrazy z saturacją (wytłumieniem) sygnału tkanki tłuszczowej. Dożylne podanie kontrastu wymagane jest jedynie w wybranych wskazaniach (ocena żywotności kości, podejrzenie zapalenia lub nowotworu kości).

„„ MR jest najlepszą nieinwazyjną metodą oceny chrząstki stawowej oraz pozostałych struktur wewnątrzstawowych niedostępnych ocenie w USG. MR wykazuje wysoką korelację z artroskopią w ocenie uszkodzeń chrząstki oraz więzadeł wewnątrzstawowych.

„„ Ar trografia-MR (wykonywana w obrazach T1-zależnych z saturacją tłuszczu, po dostawowym podaniu środka kontrastującego) stosowana jest do oceny stabilności uszkodzeń chrzęstnych, zmian pooperacyjnych, w różnicowaniu pełnej i niepełnej grubości uszkodzeń więzadeł i ścięgien.

„„ MR jest metodą z wyboru do oceny patologii szpiku. Zmiany sygnału szpiku pozwalają na wykrycie zmian przeciążeniowych/urazowych, zapalnych i nowotworowych, zanim spowodują one zmianę struktury kostnej w RTG/TK. Wiele patologii powoduje obniżenie sygnału szpiku w obrazach T1-zależnych i podwyższenie w STIR i PD z saturacją tłuszczu – tzw. obrzęk szpiku (bone marrow edema-like lesion) (ryc. 28.10).

Obrzęk szpiku w MR jest objawem nieswoistym i wymaga interpretacji wraz z wywiadem i innymi nieprawidłowościami widocznymi w badaniu, a w wybranych przypadkach także korelacji z badaniami laboratoryjnymi.

Rycina 28.10a–b.
Obrzęk szpiku (stłuczenie) kłykcia przyśrodkowego kości
czowej (b).

„„ Badanie-MR całego ciała (whole body magnetic resonance imaging, WB-MRI) stosowane jest w reumatologii i onkologii do oceny rozległości chorób zapalnych i nowotworowych. W protokołach onkologicznych dużą rolę odgrywa obrazowanie dyfuzyjne (diffusion-weighted imaging, DWI) pozwalające na identyfikację bogatokomórkowych nacieków nowotworowych.

„„ Implanty ortopedyczne nie są przeciwwskazaniem do wykonania MR, podczas którego elementy metalowe nagrzewają się w niewielkim stopniu (około 1°C). Nie opisywano również ich przemieszczenia pod wpływem pola magnetycznego. Ostrożność należy zachować przy silnie ferromagnetycznych implantach starszego typu.

„„ Metalowe implanty ortopedyczne zaburzają jednorodność lokalnego pola magnetycznego, powodując artefakty zniekształcające obraz i utrudniające ocenę badania. Artefakty można zmniejszyć poprzez użycie aparatu o niższej indukcji pola (1,5 T zamiast 3 T) oraz odpowiednich sekwencji.

„„ Wady:

z wysoki koszt; z ogólne przeciwwskazania do wykonania badania; z długi czas badania.

28.2.5.

MEDYCYNA NUKLEARNA

Badania izotopowe obrazują zmiany aktywności metabolicznej komórek. Zmiany te mogą być widoczne wcześniej niż zmiana struktury kostnej w RTG i TK. Są stosowane głównie w onkologii i diagnostyce zapaleń kości.

„„ Scyntygrafię kości najczęściej wykonuje się znakowanymi technetem (99mTc) związkami fosfonianowymi. Badanie pozwala na ocenę całego szkieletu, można też uzyskiwać celowane obrazy wybranej jego części. W scyntygrafii trójfazowej uzyskuje się obrazy w fazach naczyniowej, miąższowej oraz późnej. Liczba akwizycji za pomocą gammakamery nie zmienia dawki promieniowania otrzymanej przez pacjenta.

„„ Technika SPECT (single-photon emission computed tomography – tomografia emisyjna pojedynczych fotonów) pozwala na trójwymiarowe przedstawienie rozkładu radioizotopu w szkielecie. Z uwagi na niską rozdzielczość przestrzenną (8–10 mm) często jest łączona z obrazami

TK (SPECT-TK).

„„ Rozkład radioizotopu związany jest z grubością, ukrwieniem i szybkością metabolizmu tkanki kostnej (u osób zdrowych największe gromadzenie obserwuje się w odcinku lędźwiowym kręgosłupa, kości krzyżowej, okolicach nasad kości długich). Choroby kości mogą powodować zwiększone gromadzenie radioizotopu (ogniska gorące; ryc. 28.11) lub rzadko zmniejszone/brak gromadzenia (ogniska zimne). Superscan oznacza intensywne gromadzenie radioizotopu w całym szkielecie ze zmniejszonym wychwytem w tkankach miękkich i nerkach (tab. 28.3).

„„ Czułość scyntygrafii kości jest wysoka, swoistość – niższa z uwagi na dużą liczbę patologii manifestujących się jako ogniska gorące. Swoistość można zwiększyć przez zastosowanie dedykowanych radiofarmaceutyków (np. wykazujących powinowactwo do ognisk zapalnych) i ocenę map rozkładu radioizotopu razem z obrazami morfologicznymi (RTG, TK i coraz częściej MR).

Rycina 28.11.

Scyntygrafia statyczna kości. Przerzuty. Liczne „ogniska gorące” w szkielecie osiowym i bliższych częściach kości długich. Źródło: ze zbiorów dr J. Mączewskiej i prof. L. Królickiego.

w TK i znacznie lepiej w USG i MR. W rosnącej kości długiej między nasadą i przynasadą znajduje się chrząstka nasadowa (płytka wzrostowa). W momencie zakończenia wzrostu kostnego chrząstka nasadowa zarasta, a ślad po niej (tzw. linia nasadowa) widoczny jest jako linijne sklerotyczne pasmo na granicy końca i trzonu kości długiej (zob. ryc. 28.1).

„„ Jamy szpikowe kości długich i kość gąbczasta zawierają szpik będący najważniejszym narządem krwiotwórczym. Po urodzeniu dominuje bogatokomórkowy szpik czerwony, który z wiekiem ulega konwersji do tłuszczowego szpiku żółtego

„„ Skład komórkowy szpiku ma istotny wpływ na obraz szkieletu w badaniu MR. Proporcje szpiku czerwonego i żółtego najlepiej odzwierciedlają obrazy T1-zależne (ryc. 28.2). Szpik żółty w TK wykazuje niski współczyn-

nik osłabienia promieniowania jonizującego, zbliżony do tkanki tłuszczowej (od –110 do –40 j.H.) (ryc. 28.3; tab. 28.1).

Najlepszą ocenę anatomii tkanek miękkich narządu ruchu zapewniają MR i USG.

„„ Pokrywająca powierzchnie stawowe kości chrząstka szklista jest hipoechogeniczna w USG, natomiast w badaniu MR jej sygnał zależy od kontrastu obrazów. Chrząstka włóknista (łąkotki w stawie kolanowym, obrąbek stawu ramiennego i biodrowego, krążki stawowe oraz chrząstka trójkątna) jest hiperechogeniczna w USG i ma niski sygnał w MR (ryc. 28.4).

Rycina 28.2.

MR stawu biodrowego dziecka i dorosłego (obrazy T1-zależne). Niski sygnał szyjki i okolicy międzykrętarzowej u dziecka wynika z dużej ilości szpiku czerwonego.

Rycina 28.3.

TK kości udowej dorosłego. Niski współczynnik osłabienia szpiku żółtego w jamie szpikowej (–70 j.H.). Bardzo wysoki współczynnik osłabienia istoty zbitej warstwy korowej (1224 j.H.).

Diagnostyka obrazowa układu mięśniowo-szkieletowego

Piotr Palczewski, Krzysztof Piłat

28.1. Uwagi ogólne i anatomia radiologiczna

„„ Kość jest złożonym narządem, który składa się z tkanki kostnej, włóknistej, chrzęstnej, szpiku i naczyń. Kościec pełni funkcję podporową i ochronną, bierze udział w regulacji gospodarki wapniowo-fosforanowej oraz krwiotworzeniu.

Dzięki dużej zawartości w tkance kostnej wapnia silnie pochłaniającego promienie rentgenowskie rentgenografia (RTG) i tomografia komputerowa (TK) doskonale uwidaczniają strukturę kości.

„„ Kości zbudowane są z istoty zbitej tworzącej warstwę korową oraz istoty gąbczastej wypełniającej wnętrze kości płaskich i różnokształtnych oraz końce kości długich. Istotę gąbczastą tworzą beleczki kostne przyjmujące charakterystyczny układ zależny od rozkładu sił obciążenia kości (ryc. 28.1).

„„ W RTG warstwy korowe i beleczki kostne widoczne są jako struktury nieprzezierne dla promieni rentgenowskich („jasne”), w TK wykazują wysoki współczynnik osłabienia promieniowania jonizującego (300–1900 j.H.). W rezonansie magnetycznym (magnetic resonance, MR) warstwa korowa i grubsze beleczki widoczne są jako struktury o niskim sygnale, ocena struktury kostnej nie jest jednak tak dokładna jak w RTG i TK.

„„ Ponieważ ultradźwięki odbijają się od warstwy korowej, USG nie obrazuje struktury wewnętrznej kości; powierzchnia warstwy korowej widoczna jest jako linia hiperechogeniczna.

„„ Pokrywająca kości okostna w badaniach obrazowych uwidacznia się dopiero w przypadku jej zajęcia przez proces chorobowy (tzw. odczyn okostnowy).

„„ Obraz szkieletu wykazuje istotne różnice u dzieci i dorosłych. Chrzęstne jądra kostnienia nie są widoczne w RTG, zanim ulegną skostnieniu. Można je uwidocznić

Rycina 28.1a–b.

RTG bliższego końca kości udowej u dziecka i dorosłego. Warstwa korowa (istota zbita) i beleczki kości gąbczastej. E – nasada (epiphysis), M – przynasada (metaphysis), D – trzon (

),

wzrostowa, czarne strzałki – linia nasadowa.

diaphysis
białe strzałki
chrząstka

sów chorobowych szerzących się z kości do tkanek miękkich lub pierwotnie wychodzących z tkanek miękkich.

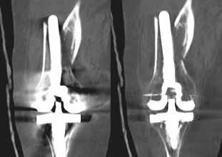
„„ Dzięki technikom redukcji artefaktów od elementów metalowych TK stała się metodą rozstrzygającą wątpliwości w przypadku podejrzenia powikłań u pacjentów z implantami ortopedycznymi (ryc. 28.8).

„„ Ar trografia-TK wykonywana po dostawowym podaniu jodowego środka kontrastującego jest ważną metodą oceny struktur wewnątrzstawowych u pacjentów z przeciwwskazaniami do MR lub współistniejącymi uszkodzeniami kości i tkanek miękkich.

„„ Angiografia-TK wykorzystywana jest: z przy podejrzeniu uszkodzenia naczyń; z w diagnostyce zaburzeń zrostu kostnego;

Rycina 28.8a–b.

a b a b

TK endoprotezy stawu kolanowego. Złamanie okołoprotezowe. Obrazy przed użyciem (a) i po (b) użyciu algorytmu redukcji artefaktów.

z przy planowaniu zabiegów rekonstrukcyjnych; z w ocenie unaczynienia nowotworów (ryc. 28.9).

„„ Wady:

z wysoki koszt;

z bardzo duża liczba otrzymanych obrazów (kilkaset do kilku tysięcy w jednym badaniu); z wielokrotnie większa niż w RTG dawka promieniowania jonizującego.

28.2.3.

ULTRASONOGRAFIA (USG)

Ultrasonografia jest znakomitą metodą oceny powierzchownie położonych tkanek miękkich narządu ruchu. Zaletą USG jest obrazowanie w czasie rzeczywistym. Badanie dopplerowskie pozwala na ocenę unaczynienia tkanek.

„„ Do badania dużych stawów używane są sondy liniowe o częstotliwości 7–12 MHz. Sondy o większej częstotliwości (nawet powyżej 18 MHz) stosuje się do oceny małych stawów rąk i stóp, ścięgien oraz nerwów. Podstawą są obrazy w prezentacji B, które pozwalają na ocenę tkanek miękkich i są skuteczne w wykrywaniu patologicznych przestrzeni płynowych.

„„ Obrazowanie w czasie rzeczywistym pozwala na:

z dynamiczną ocenę struktur więzadłowych i ścięgnistych czy obecności konfliktu między strukturami anatomicznymi;

z precyzyjną nawigację zabiegów diagnostyczno-terapeutycznych.

„„ Obrazowanie dopplerowskie jest szeroko stosowane: z do wykrywania powikłań zakrzepowych;

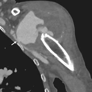
Rycina 28.9a–b.

Angio-TK: (a) rekonstrukcja 3D – duży tętniak rzekomy na poziomie przemieszczonego złamania kości ramiennej; (b) rekonstrukcja po krzywej uwidacznia miejsce uszkodzenia tętnicy pachowej (strzałka).

Rycina 16.12.

GIST żołądka – TK. Duży, owalny obszar tkankowy obejmujący ścianę żołądka od strony krzywizny mniejszej – guz wychodzący ze ściany żołądka – GIST. Guz ulega niejednorodnemu wzmocnieniu kontrastowemu, a centralny obszar hipodensyjny odpowiada martwicy. Zakontrastowane światło żołądka. Żołądek przemieszczony bocznie.

16.3.4.

DIAGNOSTYKA ŻOŁĄDKA OPEROWANEGO

„„ Najczęściej wykonywanymi operacjami są resekcje żołądka, częściowe i całkowite, oraz operacje bariatryczne (ryc. 16.13).

„„ Rekonstrukcja przewodu pokarmowego po częściowej resekcji żołądka wymaga wykonania zespolenia żołądkowo-jelitowego, natomiast po resekcji całkowitej wykonywane jest zespolenie przełykowo-jelitowe

„„ W leczeniu otyłości przeprowadzane są zabiegi bariatr yczne. Do najczęstszych należą:

z rękawowa resekcja żołądka polegająca na odcięciu części żołądka obejmującej krzywiznę większą, która prowadzi do zmniejszenia objętości żołądka;

z operacyjne ominięcie żołądkowo-jelitowe na pętli Roux-en-Y (RYGB) polegające na zmniejszeniu żołądka i ograniczeniu wchłaniania jelitowego przez skrócenie drogi pasażu pokarmu.

Rycina 16.13a–c.

Resekcja żołądka: (a) fluoroskopia – stan po całkowitej resekcji żołądka i zespoleniu przełykowo-jelitowym koniec do boku; zespolenie przełyku z pętlą jelita cienkiego zlokalizowane nad przeponą; (b) fluoroskopia – stan po częściowej resekcji żołądka i zespoleniu żołądkowo-jelitowym z jelitem cienkim koniec do końca; (c) TK – stan po rękawowej resekcji żołądka; znacznie zredukowane światło żołądka, wypełnione podanym doustnie kontrastem; hiperdensyjny szew chirurgicznych widoczny jest w obrębie ściany żołądka od strony krzywizny większej.

Diagnostyka obrazowa chorób żołądka i dwunastnicy

Wczesna radiologiczna ocena pooperacyjna jest wykonywana wodnym środkiem kontrastowym i ma na celu określenie drożności, elastyczności oraz szczelności zespolenia.

W kontroli odległej oceniane są drożność zespolenia i pasaż kontrastu przez kolejne odcinki przewodu pokarmowego.

Najważniejsze informacje

‹ Radiologicznymi metodami obrazowania GOPP są:

• fluoroskopia polegająca na uzyskiwaniu obrazu rentgenowskiego w czasie rzeczywistym, po połknięciu przez pacjenta środka kontrastowego;

• zdjęcie RTG w projekcji bocznej z zakontrastowanym przełykiem wykorzystywane do diagnostyki drożności przełyku;

• TK wykorzystywana do oceny stopnia zaawansowania guzów GOPP.

‹ Środki kontrastowe wykorzystywane w radiologicznej diagnostyce GOPP dzielimy na pozytywne (zawiesina siarczanu baru, tzw. baryt, i wodne jodowe środki kontrastowe) oraz negatywne (powietrze i woda).

‹ Objawy RTG w diagnostyce GOPP: ubytek zakontrastowania, stop kontrastu, naddatek kontrastowy, poszerzenie lub zwężenie światła GOPP, usztywnienie ścian, brak lub zaburzenie perystaltyki, perforacja, przetoka, refluks żołądkowo-przełykowy, modelowanie się na strukturach sąsiednich i przemieszczenie odcinka przewodu pokarmowego.

‹ Uchyłki i nisze wrzodowe manifestują się w radiologicznych badaniach po doustnym podaniu kontrastu jako naddatki kontrastowe.

‹ Nowotwory GOPP powodują ubytki zakontrastowania lub stop kontrastu.

‹ Objawy RTG achalazji przełyku: lejkowate, gładkie zwężenie dystalnego odcinka, poszerzenie z zaleganiem kontrastu i zaburzeniami perystaltyki.

‹ Przełyk w twardzinie układowej jest poszerzony, zwykle zawiera powietrze oraz wykazuje zaburzenia perystaltyki i usztywnienie ścian.

‹ Przepuklina rozworu przełykowego przepony to przemieszczenie narządów jamy brzusznej do klatki piersiowej.

‹ TK to podstawowa metoda do oceny zaawansowania raka przełyku i raka żołądka – pozwala ocenić miejscowe zaawansowanie guza (cecha M), przerzuty do okolicznych węzłów chłonnych (N) i przerzuty odległe (M).

‹ Pacjenci po operacjach GOPP powinni mieć wykonaną fluoroskopię wodnym środkiem kontrastowym, we wczesnym okresie w celu określenie drożności i szczelności zespolenia, a w czasie odległym – pasaż, w celu oceny drożności zespolenia.

16.3.

Diagnostyka obrazowa chorób żołądka i dwunastnicy

16.3.1.

CHOROBA WRZODOWA ŻOŁĄDKA I DWUNASTNICY

Choroba wrzodowa żołądka i dwunastnicy polega na okresowym występowaniu w żołądku lub dwunastnicy wrzodów trawiennych

„„ Wrzód trawienny jest niewielkim ubytkiem ściany żołądka lub dwunastnicy, obejmującym błony śluzową, podśluzową i mięśniową.

„„ Wrzody trawienne najczęściej występują w opuszce dwunastnicy oraz na krzywiźnie mniejszej żołądka i w okolicy przedodźwiernikowej.

Endoskopia jest badaniem z wyboru w diagnostyce choroby wrzodowej żołądka i dwunastnicy.

„„ We fluoroskopii wrzód żołądka lub dwunastnicy może być obecnie wykryty w przypadkach wykonywania badania z innych wskazań. W projekcji bocznej ma on postać niewielkiego naddatku cienia w kształcie grzyba, linii lub trójkąta. Fałd błony śluzowej dający linijne przejaśnienia u podstawy niszy wrzodowej żołądka jest określany linią Hamptona. Natomiast w projekcji przednio-tylnej wrzód jest plamkowatym obszarem zalegania kontrastu, najczęściej kształtu okrągłego z kolistym pasmem obwodowego przejaśnienia (spowodowanym wałowatym obrzękiem); nierzadko obserwujemy zbieżny (w kierunku niszy) układu fałdów błony śluzowej (zmiany bliznowate) (ryc. 16.10).

„„ Najczęstsze powikłania choroby wrzodowej to:

z krwawienie z GOPP;

z perforacja objawiająca się obecnością powietrza pod kopułami przepony; z zwężenie odźwiernika;

z zniekształcenie lub zanik opuszki dwunastnicy.

Choroba wrzodowa żołądka i dwunastnicy: (a) i (b) fluoroskopia, projekcje AP i boczna – plamkowate zaleganie kontrastu w obrębie opuszki dwunastnicy; trójkątny naddatek zakontrastowania – nisza wrzodowa; (c) fluoroskopia – powrzodowe zniekształcenie opuszki dwunastnicy; (d) fluoroskopia – stenoza odźwiernika; żołądek znacznie powiększony (rozstrzeń żołądka), zaleganie dużej ilości płynu. a c b d

Rycina 16.10a–d.

„„

możliwości rozpoznawcze rentgenodiagnostyki, stosuje się techniki dodatkowe. Zdjęcia porównawcze ułatwiają różnicowanie zmian chorobowych i odmian budowy oraz typu zaniku kostnego (miejscowy vs. uogólniony). Zdjęcia czynnościowe i w obciążeniu odgrywają istotną rolę w ocenie wad postawy oraz wydolności struktur więzadłowych. Oceny wieku kostnego dokonuje się przez porównanie zdjęcia AP niedominującej ręki z atlasem przedstawiającym referencyjne obrazy chłopców i dziewcząt w różnym wieku.

Wady:

z dwuwymiarowy sumacyjny charakter obrazów utrudniający ocenę złożonych anatomicznie części szkieletu;

z stosunkowo późne uwidocznienie zmian uwapnienia kości (zauważalny jest dopiero ubytek przekraczający 30% masy kostnej);

z słabe uwidocznienie tkanek miękkich.

28.2.2. TOMOGRAFIA KOMPUTEROWA

TK jest badaniem drugiego rzutu wykonywanym w celu oceny struktur kostnych o złożonej budowie przestrzennej (rekonstrukcje wielopłaszczyznowe i trójwymiarowe). Pozwala znacznie dokładniej niż w RTG ocenić tkanki miękkie.

„„ Obrazy ocenia się w oknie kostnym i miękkotkankowym (ryc. 28.7). Zasady oceny struktur kostnych są takie same jak w RTG.

„„ Większość badań wykonuje się bez podawania środka kontrastującego. U pacjentów z przeciwskazaniami do MR, TK z dożylnym podaniem środka kontrastującego może stanowić alternatywę w ocenie rozległości proce-

Rycina 28.6a–b.

Zwichnięcie stawu międzypaliczkowego bliższego II palca widoczne jedynie w projekcji bocznej.

Rycina 28.7a–b.

TK stawu biodrowego: (a) okno kostne; (b) okno miękkotkankowe.

Turn static files into dynamic content formats.

Create a flipbook
Issuu converts static files into: digital portfolios, online yearbooks, online catalogs, digital photo albums and more. Sign up and create your flipbook.