Gesund Leben Magazin 2202

Page 1

GESUND LEBEN

+ Schwerpunkt: Bewegung

Kleiner Kämpfer: Felix kam zu früh auf die Welt

S. 14

02 /22

Gut eingestellt: Was Bikefitting wirklich bringt S. 52

Tolles Training: Spielen mit dem Robotor macht Spaß S. 58

Neues lernen: So bleiben Sie geistig beweglich S. 60

Klinikum Bayreuth GmbH + GeBo Gesundheitseinrichtungen des Bezirks Oberfranken + reha team Nordbayern + MEDICLIN Reha-Zentrum Roter Hügel + Diakonie Bayreuth – Diakonisches Werk – Stadtmission Bayreuth e. V. + Bayerisches Rotes Kreuz Kreisverband Bayreuth + OFRA Pharm oHG Apotheken + Gesundheitsregionplus/Gesundheitsregion Bayreuth

Jetzt in Ihrer Apotheke bestellen!

Phytorelief® Protect: PZN-17522783

Flexiqule™ Max: PZN-17838523

IHRE PERFEKTEN BEGLEITER BEIM SPORT!

Rein pflanzliche Lutschpastille mit patentierter Extraktkombination aus

• Kurkuma, Granatapfel und Ingwer •

Bildet einen Schutzfilm gegen äußere Einflüsse auf der Mundschleimhaut!

Rein pflanzliches SportMassageöl mit Extraktkombination aus

• Weihrauch, Ingwer, schwarzem Pfe er und Lavendel •

Ideal vor und nach dem Sport!

www.alchemlife.de alchemlifedeutschland
support@alchemlife.de

„Das Leben ist wie Fahrrad fahren. Um die Balance zu halten, musst du in Bewegung bleiben.“

Liebe Leserinnen, liebe Leser, „Bewegung ist die beste Medizin“, sagt der Volksmund. Wie recht er damit hat, belegen wissenschaftliche Studien. Während Ärztinnen und Ärzte noch vor einigen Jahren beispielsweise nach Operationen auf Schonung setzten, verordnen sie heute Bewegung statt Bettruhe. Nachgewiesen wurde die positive Wirkung von Bewegung u. a. für Erkrankungen des Herz- und Kreislaufsystems, Bluthochdruck, Osteoporose, Diabetes oder Krebserkrankungen. Sie fördert die Durchblutung, bringt den Stoffwechsel auf Trab, beugt Übergewicht und Rückenschmerzen vor. Körperliche Aktivität kräftigt die Muskulatur, macht das Immunsystem fit und mobilisiert schmerzende, steife Gelenke – häufig effektiver als Medikamente. Doch nicht nur unser Körper, auch unsere Psyche profitiert enorm von einem bewegten Leben. Sport unterstützt den Abbau von Stresshormonen und verbessert durch die Ausschüttung von Glückshormonen die Stimmung, körperliches Training hilft sogar gegen Depressionen und Angstzustände. Kurz: Durch regelmäßige Bewegung lassen sich Krankheiten und Sterblichkeit signifikant reduzieren und die Lebensqualität steigt.

Laut Weltgesundheitsorganisation sollten sich Erwachsene pro Woche mindestens 150 Minuten mit mittlerer Intensität oder 75 Minuten mit hoher Intensität im Ausdauerbereich bewegen. Was so einfach klingt, ist im Alltag vieler Menschen allerdings noch nicht angekommen. Sitzen sei das neue Rauchen, heißt es in medizinischen Kreisen. Höchste Zeit also, den inneren Schweinehund zu überwinden und aktiv zu werden – im Alltag, Beruf und in der Freizeit.

In dieser Ausgabe des Magazins GESUND LEBEN stellen wir Ihnen verschiedene Möglichkeiten vor, in jeder Lebensphase gesund und schmerzfrei in Bewegung zu kommen. Wissenschaft, Medizintechnik und Beratung vor Ort können Sie bei Ihrem Training individuell und zielgerichtet unterstützen – für mehr Freude an Bewegung!

Ich wünsche Ihnen bei der Lektüre viele „bewegende“ Eindrücke und Inspirationen, Gernot Gebauer

Geschäftsführer, reha team Nordbayern

3
OFRA-Pharm OHG www.apotheke-bayreuth.de GESUND LEBEN Editorial

GESUND LEBEN

Das ist drin!

Impressum

Das Magazin GESUND LEBEN wird herausgegeben von GMK – Medien. Marken. Kommunikation. in enger Partnerschaft mit Klinikum Bayreuth GmbH · GeBo Gesundheitseinrichtungen des Bezirks Oberfranken · reha team Nordbayern

MEDICLIN Reha-Zentrum Roter Hügel · Diakonie Bayreuth – Diakonisches Werk – Stadtmission Bayreuth e. V. Bayerisches Rotes Kreuz Kreisverband Bayreuth · OFRA Pharm oHG Apotheken · Gesundheitsregionplus/Gesundheitsregion Bayreuth

Verantwortlich: GMK GmbH & Co. KG, Jörg Lichtenegger (V.i.S.d.P.)

Editorial-Design: Melanie Gimmel · Media: Daniel Sutter (Anzeigenleitung)

Es gelten die Mediadaten vom 28. Februar 2022

Gesamtherstellung GMK GmbH & Co. KG – Medien. Marken. Kommunikation.

Jörg Lichtenegger (verantw.) · Kanzleistraße 3 · 95444 Bayreuth

Tel.: (0921) 76440-0 · E-Mail: gmk@gmk.de · www.gmk.de

GESUND LEBEN 4 In Inhalt & Impressum
© 2022 GESUND LEBEN 12 20 10
Editorial 03 Kurz & knapp Neues aus Bayreuths führenden Gesundheitseinrichtungen 06 Bewusst leben Gefühle sind okay. Alle. – Über den Umgang mit Emotionen in bewegten Zeiten 10 Auf der Suche nach Pflegefachkräften – weltweit! 12 Der kleine Felix hat’s geschafft 14 Medizinisch neu Ausgezeichnet! Krebs-Zentren bekommen Bestnoten 17 Wertvolle Zeit gewinnen dank High-Tech-Diagnostik 18 Endlich wieder mehr Lebensqualität 20 Rätselzeit 62 Impressum 04
In
Kommt in Bewegung! 22 Gebt den Kindern Bewegungsfreiheit ......... 24 Bewegung und Ernährung 26 Wo ich geh' und steh'– der Fuß 28 Die dynamische Fußanalyse 30 Gut zu Fuß durch den Sommer 32 Der Blick ins Knie 34 Weißes Gold im Knie 36 Nicht gleich Heavy-Metal – wann muss eine Prothese sein? 38 Immer einen lockeren Spruch – Motivation 41 Reizbestrahlung gegen Fersensporn und Gelenkschmerzen 42 Aktive Gelenke jeden Tag 44 Ein schwaches Herz braucht Bewegung 46 Langsam wieder anfangen – Sport nach COVID 47 Bewegung für mehr Lebensfreude 48 Dieser Weg wird kein leichter sein 50 Mein Bike und ich – Bikefitting 52 Nordisches Gehen 54 Bewegung in der Gesundheitsregion Bayreuth 56 Bewegung spielerisch trainieren 58 Lernen Sie tanzen! 60 S C H PREW UTKN · B E WEGU NG· +
Bewegung kommen

Kurz & Knapp

Neues aus Bayreuths führenden Gesundheitseinrichtungen

MEDICLIN MEDICLIN Home: Therapie-App

Das MEDICLIN Reha-Zentrum Roter Hügel in Bayreuth betreut orthopädische und neurologische Patientinnen und Patienten seit Juli 2021 auch digital: Über eine Therapie-App werden sie während und nach der Rehabilitation online unterstützt und können so selbstbestimmt zu ihrem Therapieerfolg beitragen. „Über die App nehmen die Patienten und Patientinnen ihre qualifizierte Therapeutinnen und Therapeuten quasi mit nach Hause und erhalten somit eine flexible therapeutische Begleitung rund um die Uhr“, erklärt Ilona Thomschke, Therapieleiterin des Reha-Zentrums Roter Hügel. „So sichern wir die Nachhaltigkeit der Rehabilitation und damit den Therapieerfolg. Die Therapie-App ergänzt die Behandlung des therapeutischen Teams. Sie enthält digitale, leicht verständliche Bewegungsangebote, Fitness- und Entspannungsübungen, Seminare zu unterschiedlichen Themenbereichen der Gesundheit sowie Rezeptvorschläge und Übungen im Bereich der Logopädie und Ergotherapie“, berichtet Thomschke.

Die App ist Teil der Online-Plattform MEDICLIN Home des Gesundheitsunternehmens MEDICLIN: Auf dieser Plattform bündelt der Klinikverbund seit Kurzem seine digitalen Therapie-Angebote. Die Online-Plattform ist ein wichtiger Baustein für ganzheitliche, innovative Behandlungskonzepte, die bewährten Reha-Elemente mit digitalen Module verknüpfen. Patientinnen und Patienten profitieren von individuellen Therapieplänen, einfacher Abrufbarkeit online und einem nahtlosen Übergang von der Klinik in den Alltag. Für Therapeutinnen und Therapeuten liegt darin die Chance, das Therapieprogramm noch individueller, flexibler und nachhaltiger zu gestalten.

WEITERE INFOS:

www.mediclin-home.de

Die Mitarbeitenden des Lesecafé21 mit Birgit Richter (Geschäftsführerin Lebenswerk gGmbH; 2. v. l.), Elke Greim (Caféhausleitung; 3. v. l.), Silvia Schlemmer (Anleiterin Lesecafé21; 4. v. l.), Reinhard Lehretz (2. Vorsitzender Freunde und Förderer Lebenswerk e.V.; 8. v. l.), Alf Bär (1. Vorsitzender Freunde und Förderer Lebenswerk e.V.; 9. v. l.) und Wolfgang Hetz (Vorstandsvorsitzender Sparkasse Bayreuth; rechts außen). Foto: Diakonie Bayreuth

Aus dem „Samocca“ wird das „Lesecafé21“

– Sparkasse hilft auf dem neuen Weg

Zehn Jahre gibt es das „Samocca“ im RW 21 schon. Unter dem Slogan „Aus ‚Samocca‘ wird ‚Lesecafé21‘, sonst ändert sich nichts!“ wird jetzt die Neuausrichtung betrieben. Paradox? Nein. Denn was bleibt, ist das Konzept des Tagescafés mit kleinen Snacks, Suppen, Kuchen und Besonderheiten aus der Region, wie Eis oder überraschende Samstagsfreuden. Was auch bleibt, ist der herrliche Kaffee in all seinen Varianten. Und natürlich die Mitarbeitenden: Menschen mit Handicaps, die – dank geschulter und spezieller Abläufe – den täglichen Betrieb eines Cafés alleine schultern. Die besondere Atmosphäre, die dadurch entsteht, macht aus Gästen schnell Stammgäste.

Neu ist, dass das jetzige „Lesecafé21“ nicht mehr als Franchiseunternehmen betrieben wird, sondern unter eigener Verantwortung der Diakonie Bayreuth mit ihrer Tochter Lebenswerk gGmbH. Was sich mit ändert, sind das Logo und die Bekleidung – frischer, farbiger, freundlicher. Und mit dem neuen Geschirr von Rosenthal greift das „Lesecafé21“ auch bei Tassen und Tellern die Farbigkeit auf – der Förderverein des Lebenswerks spendete hierfür 8.000 Euro. Mit einer Spende in Höhe von 5.000 Euro ebnet die Sparkasse Bayreuth zusätzlich den neuen Weg und die Finanzierung weiterer notwendiger Anschaffungen. Für Wolfgang Hetz, Vorstandsvorsitzender der Sparkasse Bayreuth, ist die Spende ein logischer Schritt und auch eine Herzensangelegenheit, um Menschen mit Behinderung eine Entwicklungschance zu geben und Inklusion zu unterstützen.

Der Träger des „Lesecafé21“ ist die Lebenswerk gGmbH –ein Unternehmen der Diakonie Bayreuth. Es beschäftigt an mehreren Standorten in Bayreuth und Kulmbach in unterschiedlichsten Arbeitswelten fast 600 Mitarbeiterinnen und Mitarbeiter mit Behinderung. Für Birgit Richter, Geschäftsführerin der Lebenswerk gGmbH, ist das Projekt vollends gelungen. „Seit der Gründung im Jahr 2011 ist das Café ein Erfolgsprojekt. Hier wird Inklusion gelebt. Wir sind stolz! Wir danken der Sparkasse Bayreuth dafür, dass sie die Neugestaltung unterstützt."

GESUND LEBEN 6 Kurz & Knapp

KLINIKUM BAYREUTH GMBH

Die Ärztinnen und Ärzte von morgen

Sie sind da. Die Klinikum Bayreuth GmbH und die Universität Bayreuth, Stadt und Landkreis Bayreuth haben die ersten Studierenden des Studiengangs Medizin Erlangen/ Nürnberg-Bayreuth zum klinischen Teil ihres Studiums in Bayreuth willkommen geheißen. Hochrangige Vertreter der Friedrich Alexander Universität Erlangen/Nürnberg und des Universitätsklinikums Erlangen begrüßten sie bei einem Festakt im neuen Gebäude am Klinikum. Damit fiel der Startschuss für den Medizincampus Oberfranken. Erstmals findet Medizinerausbildung jetzt auch im Regierungsbezirk Oberfranken statt.

„Liebe Kolleginnen, liebe Kollegen.“ So begrüßte Prof. Dr. Hans-Rudolf Raab, Medizinischer Geschäftsführer der Klinikum Bayreuth GmbH, die Studierenden. An einem Krankenhaus mit fast 1100 Betten, zahlreichen Disziplinen und Zentren, sowie mit einem großen ambulanten Versorgungs- und Behandlungsauftrag haben die Studierenden nahezu alle Möglichkeiten, zu sehen und zu erlernen, was sie später in ihrem beruflichen Alltag brauchen. Sich einzubringen, kritisch nachzufragen – dazu rief der Kaufmännische Geschäftsführer der Klinikum Bayreuth GmbH, Alexander Mohr, die Studierenden auf. „Der Medizincampus Oberfranken hat das Zeug dazu, ein Leuchtturmprojekt über Bayern hinaus zu werden.“

Den 50 Studierenden der ersten Bayreuther Gruppe folgen in den kommenden Semestern jeweils weitere 50. Ziel ist es, 400 jungen Leuten den klinischen Studienteil in Bayreuth zu ermöglichen. Weitere 200 werden den vorklinischen Teil in Erlangen absolvieren und dann an den Medizincampus wechseln.

Hilfe für die Ukraine geht weiter

Der Krieg in der Ukraine hat nichts von seiner Brutalität eingebüßt. Hilfe wird weiter dringend gebraucht – die BT Ukraine Help Alliance, der die Klinikum Bayreuth GmbH angehört, trägt ihren Teil bei. Ein Logbuch:

MITTWOCH, 9. MÄRZ: Prof. Dr. Michael Vieth, Direktor des Instituts für Pathologie an der Klinikum Bayreuth GmbH, hat Kontakt zu einem Kollegen in der Ukraine, dessen Institut in einer Nacht- und Nebel-Aktion von Kiew nach Lemberg evakuiert wurde. Vieth bietet Hilfe an, findet in seinem Bestand etwas, was hilft. Ein Multihead Mikroskop, an dem fünf Kollegen arbeiten können.

FREITAG, 18. MÄRZ: Wie schön, dass wir wieder helfen konnten. Der zweite große Hilfstransport ist auf dem Weg in die Ukraine. Mit Medikamenten, die direkt für Kiew bestimmt sind und für Geräte für ein Krankenhaus in Liwiw. Finanziert wird der Transport wieder aus Spendengeldern der BT Ukraine Help Alliance. Das Team um Apothekenleiter Dr. Richard Sommerer schaffte es, innerhalb einer Woche dringend benötigte Medikamente und medizinisches Equipment zu beschaffen.

MONTAG, 28. MÄRZ: „Könnt ihr uns irgendwie helfen, uns fehlt so viel?“ Von diesem Hilferuf der Früh- und Neugeborenenintensivstation in Sumy erfuhren Barbara Koch und die Kolleginnen im Bunten Kreis im Klinikum. Barbara Koch knüpfte den Kontakt zur BT Help Ukraine Alliance und Axel Gottstein vom Rotarischen Hilfswerk. Sie stellten sofort die Mittel zur Verfügung. Die Teams der Klinik-Apotheke und des Zentrallagers stemmten die Bestellungen und das Verpacken von Medikamenten und Material zusätzlich zur Alltagsarbeit. Es ist bereits der dritte Transport, bei dem die Klinikum Bayreuth GmbH als Teil der ‚BT Help Ukraine Alliance‘ ihren Beitrag leisten konnte.

MONTAG, 11. APRIL: Unsere Hilfe kommt an. In einem Schreiben betont der stellvertretende Chefarzt des Städtischen Krankenhauses für Erstversorgung in Kiew, wie wichtig Hilfe ist. Dr. Berezenko schreibt: „Sehr geehrte Mitarbeiterinnen und Mitarbeiter der Klinikum Bayreuth GmbH, ich bedanke mich ganz herzlich für die großzügige Hilfe, mit der Sie die Tätigkeit unseres Krankenhauses in diesen schwierigen Kriegszeiten enorm unterstützen. Auf diese Art und Weise helfen Sie uns direkt, Menschenleben zu retten.“

Unterwegs im Klinikum: Die angehenden Ärztinnen und Ärzte lernten ihr Krankenhaus kennen. Foto: Klinikum Bayreuth GmbH

AKTUELL: Das Eishockey-Team der Bayreuth Tigers spendet 9.000 Euro. Der größte Teil dieser Summe wird in Material und Medikamente für eine Kinderklinik in der Ukraine investiert.

7

Mit der

LAUFMAUS®

gesünder in Bewegung kommen

Wer gerne joggt, walked oder generell sportlich per pedes unterwegs ist, richtet sein Augenmerk meist auf die Füße und gutes Schuhwerk. Was viele nicht wissen: Der Körperschwerpunkt und die Stellung des Schulter-Arm-Komplexes haben für alle Bewegungsabläufe des menschlichen Körpers eine extrem wichtige Bedeutung – so auch für das Gehen bzw. Laufen.

Entscheidend sind dabei vor allem die Arm- und Handhaltung. Zu dieser Erkenntnis gelangte der Sport- und Allgemeinmediziner sowie Osteopath Dr. med. Horst Schüler infolge persönlicher leidvoller Erfahrung. Nach einem schweren Autounfall wurden Lähmungen und chronische Schmerzen zu seinen täglichen Begleitern. Da er sich mit seinem Schicksal nicht abfinden wollte, entwickelte er für sich eine spezielle Arm- und Handhaltung, die einen enormen entlastenden Effekt für den gesamten Körper hatte und den Arzt zurück ins bewegte Leben führte –die Geburtsstunde der LAUFMAUS®.

Das Konzept des innovativen Tools, das Dr. Schüler in der Folge erfand, ist bestechend einfach: Das ergonomisch geformte, ultraleichte Griffelement, das beim Gehen und Laufen in den Händen gehalten wird, optimiert die Körperhaltung von Läufern derart, dass sie effizienter, entspannter und damit gesünder laufen können. Die LAUFMAUS® bringt die Hände in eine ganz spezielle Vorhalteposition: Der Daumen zeigt nach vorn oben, der Zeigefinger ist gestreckt und die Handaußenfläche ist leicht nach außen gedreht. Dadurch wird der Oberkörper aufgerichtet und stabilisiert.

Da das kleine Hilfsmittel physiologisch und psychologisch viele Prozesse in Gang setzt, verbessern sich Körperspannung, Körperkontrolle und Körpersteuerung sichtbar und spürbar. Somit hat auch das Zwerchfell mehr Platz und eine tiefere Atmung kann erfolgen. Das belegt auch eine aktuelle wissenschaftliche Studie der Hochschule Amberg-Weiden. Mit der LAUFMAUS® steht einem gesunden und entspannten Lauferlebnis nichts mehr im Wege! Erhältlich ist sie beim reha team Nordbayern – inklusive einer umfassenden Beratung dazu

WEITERE INFOS:

www.rehateam-nordbayern.de

ˆ

Üben, um wieder fahren zu können

Mobilität ist Freiheit. Was für alle stimmt, ist für Patientinnen und Patienten mit Querschnittlähmung besonders wichtig. Autofahren gehört dazu – und das muss man üben. VW hat der Klinik Hohe Warte, einem der führenden Versorgungseinrichtungen für Querschnittlähmung, deshalb einen brandneuen Caddy zur Verfügung gestellt. Die Fachfirmen Veigel und Zawatzky haben das Fahrzeug auf die besonderen Bedürfnisse der Patientinnen und Patienten umgebaut. Das Übungsauto ermöglicht eine vollständige Handbedienung über das Lenkrad, mittels Drehknauf, Hebel für Gas und Bremse und Multifunktionsdrehknauf. Mit ihm kann der Fahrer zum Beispiel links Gas und Bremse bedienen und rechts gleichzeitig Hupe oder Blinker. Des Weiteren gibt es Umsetzhilfen in den Sitzen. Kleine Lösungen, wie ein Zurrgurt am Kofferraum, ermöglichen das Schließen des Kofferraums im Sitzen. Und die Fahrerin oder der Fahrer? Sie brauchen eine ärztliche Fahrtauglichkeitsbescheinigung, in der Hohen Warte werden diese ausgestellt. Danach stehen Fahrstunden bei einer Fahrschule, die auf solche Fahrzeuge spezialisiert ist, an. Die Fahrprobe nimmt der TÜV ab.

GESUND LEBEN Ausgabe 01/22 8
REHA TEAM NORDBAYERN
KLINIKUM BAYREUTH GMBH Bei der Fahrzeugübergabe (v.l.n.r.): Ingo Beberich, Fa. Zawatzky, Andreas Berghammer, Leiter Sozialdienst, Carsten Plötz, Leiter Ergotherapie Hohe Warte, Roman Pott, Fa. Veigel, Hans-Joachim Wille und Gerd Schmees, VW Nutzfahrzeuge. Foto: Klinikum Bayreuth GmbH Die LAUFMAUS® optimiert die Körperhaltung von Läuferinnen und Läufern. Foto: LAUFMAUS®
www.echt-oberfranken.de Oberfrankens schönste Seiten! Jetzt im Zeitschriftenhandel oder im Abo unter < www.echt-oberfranken.de/abo Bleiben Sie gesund!

Gefühle sind okay. Alle.

Über den Umgang mit Emotionen in bewegten Zeiten

Wir leben in bewegten Zeiten, nichts scheint mehr sicher. Corona hat unser Leben schon auf den Kopf gestellt, jetzt bedroht der Krieg in der Ukraine auch unsere Sicherheit in Deutschland. Dr. med. Stephanie Tieden ist Oberärztin der Depressionsstation am Bezirkskrankenhaus Bayreuth. Sie spricht über die aufgewühlte Gefühlswelt in diesen Zeiten.

Corona, Krieg in der Ukraine, Inflation. Es sind gerade keine einfachen Zeiten. Wie steuere ich sicher durch diese Krisen und bleibe seelisch gesund?

DR. STEPHANIE TIEDEN: Wichtig ist, hier auch mal Abstand zu den Nachrichten zu bekommen und zum Beispiel nicht ständig in den Medien Newsblogs zu verfolgen. Sich besinnen auf das eigene Leben – im Hier und Jetzt! Das, was anderen Menschen gerade in der Ukraine passiert, wie andere mit Corona-Folgen kämp -

fen – das ist schlimm, keine Frage. Aber ich selbst darf und sollte auch bei mir bleiben. Sorgen und Grübeln über die Welt helfen den anderen überhaupt nicht weiter. Und es ist niemandem geholfen, wenn ich selber aus dem Sorgen nicht mehr rauskomme, damit beendet man keine Kriege oder Pandemien. Ich darf dankbar sein darüber, dass jetzt gerade hier bei uns kein Krieg ist. Ich darf den Frühling, den Sonnenschein genießen und Dinge tun, die mir Freude und Genuss bringen. Das darf und sollte man sich auch ganz bewusst „erlauben“. Auch der Psyche tun soziale Kontakte gut, Entspannung und moderate Bewegung, möglichst in der Natur (das muss gar kein anstrengender Sport sein, ein täglicher Spaziergang hat hier schon einen guten Effekt). Wenn dennoch eine deutlich negative Stimmung über mindestens zwei Wochen andauert und sich nicht bessert, kann eine manifeste Depression vorliegen –hier sollte man auf jeden Fall ärztliche Hilfe in Anspruch nehmen.

GESUND LEBEN 10
INTERVIEW MIT DR. STEPHANIE TIEDEN, OBERÄRZTIN AM DEPRESSIONSZENTRUM DES BEZIRKSKRANKENHAUSES BAYREUTH
Bewusst leben
Der Psyche tun Entspannung und moderate Bewegung, möglichst in der Natur, gut. Ein täglicher Spaziergang hat hier schon einen guten Effekt.

Der ein oder die andere ist aber ja tatsächlich ganz konkret betroffen: er bekam Corona und hat unter den Folgen zu leiden, die Inflation sorgt für weniger Geld in ihrem Geldbeutel und sie muss jeden Euro zweimal umdrehen … das kann zu Wut führen, oder zu Resignation. Oder ich bekomme Angst, beispielsweise vor einem Atomkrieg, weil ich in den Nachrichten nur noch Schlechtes höre. Wie begegne ich solch starken Gefühlen am besten?

DR. TIEDEN: Erst mal: Gefühle sind ok – und zwar alle, auch die, die sich unangenehm anfühlen. Gefühle dienen dazu, uns zu signalisieren, ob unsere Bedürfnisse gerade erfüllt sind oder nicht. Wut wird zu Unrecht oft dämonisiert. Negativ ist aber nicht die Wut an sich, sondern eher aggressive Handlungen, die wir oft daraus entstehen lassen. Wut kann aber auch ein guter Antreiber sein, um etwas positiv zu verändern, was uns nicht gut tut und nicht weiter darin zu verharren. Resignation ist ein Verharren in einer gefühlten Hilflosigkeit und Unkontrollierbarkeit und wird oft als sehr bedrückend und hoffnungslos erlebt. Alternativ könnte man überlegen, ob ein eher akzeptierendes Annehmen von Dingen, die man nicht ändern kann, hilfreicher sein kann – und ein Konzentrieren auf die Dinge, die man ändern kann, und wenn es nur kleine Dinge sind (wir können keinen Atomkrieg verhindern, aber wir könnten zum Beispiel an einer Demo teilnehmen und so zumindest einen kleinen Teil beitragen).

Warum reagieren Menschen mit Aktionen wie Lebensmittelhamstern auf diese bewegten Zeiten?

DR. TIEDEN: Hamstern ist vor allem eine aktive Handlung statt eines passiven Abwartens. Ausgeliefert sein, nichts ändern können – das ist für viele Menschen nur schwer erträglich – durch aktive Handlungen wie „Hamstern“ hat man zumindest kurzfristig den Eindruck, selbst etwas tun zu können, was etwas entlastend wirkt.

MEHR INFOS:

Bezirkskrankenhaus Bayreuth

Depressionszentrum

Nordring 2, 95445 Bayreuth

Telefon: (0921) 283-0

www.gebo-med.de

Ist es ein gutes Mittel, die Sorgen zu verdrängen?

DR. TIEDEN: Verdrängen ist vor allem auf längere Sicht keine gute Option. Kurzfristig kann es zwar entlasten, langfristig wirken verdrängte Sorgen und unangenehm erlebte Emotionen aber weiter und verschwinden nicht. Plakativ heißt es so schön: „Gefühle sollten gefühlt werden“ – quasi „durchfühlt“ und „durchlebt“ werden, um sie zu verarbeiten. Das kann je nach Gefühl auch sehr unangenehm sein, aber ist der beste Weg, um damit umzugehen und die Erfahrung zu machen: Auch unangenehme Gefühlszustände bleiben nicht ewig, sondern verändern sich.

11
Autor: GeBO – Gesundheitseinrichtungen des Bezirks Oberfranken Foto: GeBo, Unsplash / Paola Chaaya
D einah nedeiT si t O b e r ärzti n amDep zentrumdes Bezirkskrankenhaus uth.
„Sich auf das eigene Leben im Hier und Jetzt besinnen, das ist ein Hilfsmittel um gut durch bewegte Zeiten zu kommen.“
DR. STEPHANIE TIEDEN

Auf der Suche nach Pflegefachkräften –weltweit!

Die Altenpflege wird in den kommenden Jahren eine enorme Wachstumsbranche sein. Immer mehr Menschen sind auf die vielfältigen Dienstleistungen der verschiedenen Versorgungseinrichtungen der Altenpflege angewiesen.

GESUND LEBEN 12
DAS ROTE KREUZ IN BAYREUTH IST OFFEN FÜR ARBEITSKRÄFTE AUS DER GANZEN WELT Autor: BRK Bayreuth / Tobias Schif Fotos: BRK Bayreuth / Tobias Schif Egal ob Pflegebedürftige oder Mitarbeitende – unabhängig von Background und Herkunft sind beim BRK Kreisverband Bayreuth alle willkommen.
leben
Bewusst

Obwohl die Zahl der Beschäftigten in der Altenpflege in den letzten Jahren angestiegen ist, fehlen in Deutschland in allen Pflegeberufen die dringend benötigten Fachkräfte, um den zunehmenden Bedarf zu decken und eine qualitative Versorgung von zu Pflegenden gewährleisten zu können.

Arbeitskräftesuche weltweit

Als Teil der internationalen Rot-Kreuz-Rot-HalbmondBewegung richtet der BRK Kreisverband Bayreuth den Blick auch über die Grenzen Deutschlands und der Europäischen Union hinaus. Um engagierte Mitarbeiterinnen und Mitarbeiter mit Interesse an der Ausbildung und Arbeit in der Altenpflege in Deutschland zu gewinnen und so dem Fachkräftemangel entgegenzuwirken, wirbt der BRK Kreisverband Bayreuth im Rahmen eines Projektes um internationale Bewerberinnen und Bewerber.

„Die weltweite Rot-Kreuz-Bewegung steht allen Menschen offen, egal welchen geografischen, kulturellen oder religiösen Hintergrund sie haben. Auch als Arbeitgeber ist das Rote Kreuz in Bayreuth darum offen für Arbeitskräfte aus der ganzen Welt“, erklärt der stellvertretende Kreisgeschäftsführer des BRK Kreisverbandes Bayreuth Richard Knorr. „Mit unserem Projekt zur weltweiten Pflegefachkraftgewinnung

wollen wir diese Offenheit als Benefit sowohl für Arbeitnehmerinnen und Arbeitnehmer aus dem Ausland als auch für das Rote Kreuz als Arbeitgeber im Wettbewerb um Fachkräfte nutzen,“ so Knorr weiter.

Zielgruppe der Bestrebungen des BRK Kreisverbandes Bayreuth sind sowohl Menschen im Ausland als auch Menschen mit internationalem Background, die bereits in Deutschland leben und sich für die Arbeit in der Altenpflege interessieren. Der BRK Kreisverband Bayreuth setzt dabei in erster Linie auf die grenzüberschreitenden Möglichkeiten des World Wide Webs und auf internationale soziale Medien.

Neu Stabsstelle für die Koordination des internationalen Arbeitskräfte-Recruitings

Koordiniert wird die internationale Anwerbung durch Frau Chen Chen, die seit Ende des vergangenen Jahres die neu geschaffene Stabsstelle Personal Recruiting im Bayreuther Roten Kreuz übernommen hat. Neben der grundlegenden Kooperationsarbeit und einer wichtigen Mittlerfunktion zwischen internationalen Bewerberinnen und Bewerbern unterstützt Frau Chen auch die umfangreichen administrativen Vorgänge im BRK Kreisverband Bayreuth, die eine Anstellung oder Ausbildung von Nicht-EU-Bürgerinnen und -Bürgern mit sich bringt.

MEHR INFOS: www.brk-bayreuth.de

13
Pflege mit Herz und Verstand kennt keine Grenzen – als Teil einer weltweiten Bewegung steht der BRK Kreisverband Bayreuth als Arbeitgeber allen Menschen offen. Der BRK Kreisverband Bayreuth sucht Menschen mit internationalem Background, die im Ausland oder bereits in Deutschland leben und sich für die Arbeit und Ausbildung in der Altenpflege interessieren.

Der kleine Felix hat’s geschafft

Er wog bei der Geburt nur 650 Gramm –jetzt durfte er mit seinen Eltern nach Hause

Felix – der Name kommt aus dem lateinischen und heißt so viel wie „der Glückliche“ oder „der vom Glück Begünstigte“. Miriam und Mathias

Oehmig hatten den Namen für ihren Sohn bereits ausgewählt. Dass er so gut passen würde, war da noch nicht klar.

Hart erkämpft

Als Felix das Klinikum Bayreuth gemeinsam mit seinen Eltern verlässt, wiegt er 3.610 Gramm. Doch das Gewicht, das andere Babys bereits bei der Geburt haben, musste sich Felix

über Monate erkämpfen. Er kommt am 14. Dezember 2021 zur Welt. Sein erstes Weihnachten, seinen ersten Jahreswechsel, die kommenden fünf Monate verbringt er im Krankenhaus. Denn bei seiner Geburt ist Felix gerade einmal 650 Gramm schwer, kommt viel zu früh auf die Welt. „Die Ärzte haben alles versucht, die Geburt hinauszuzögern“, sagt die Mutter. Am Ende schaffen sie es gerade so über die Schwelle zur 25. Schwangerschaftswoche. Aber Miriam Oehmig ist ein positiver Mensch. Daher sagt sie rückblickend: „Ich hatte Riesenglück. Glück, dass ich bereits in der Klinik war, Glück, dass in diesem Moment eine Schwester und eine Hebamme

GESUND LEBEN 14
Autor: Klinikum Bayreuth GmbH Foto: Klinikum Bayreuth GmbH
Bewusst leben

nach mir sahen und ich nicht alleine war. Glück, dass alle in der Kinderklinik bereits informiert waren und sich so schnell um Felix kümmern konnten.“ Denn Felix rutscht in nur einer Wehe der Krankenschwester unvorbereitet quasi in die Hände. Der Mutter bleibt nur wenig Zeit, das zu realisieren. Krankenschwester und Hebamme reagieren sofort und goldrichtig. Felix wird direkt in die Kinderklinik gebracht und auf der Intensivstation versorgt.

Sein Zustand ist mehr als kritisch und wird es auch über eine lange Zeit bleiben. Miriam und ihr Mann blenden das größtenteils aus, funktionieren. „Ich habe mich in dieser Zeit vor allem darauf konzentriert, was mein Kind braucht, was ich tun kann und wie ich ihn unterstützen kann.“ Die beiden entscheiden bewusst, nicht über Nacht in der Klinik zu bleiben. Sie verbringen jeden Tag mehrere Stunden in der Klinik, nehmen sich aber

bewusst auch Auszeiten daheim. Den jungen Eltern ist klar: Sie werden ihre Kraft brauchen.

„Die Ärzte haben uns nichts vorgemacht. Manche Wahrheiten müssen einfach ausgesprochen werden. Auch wenn sie hart sind“, sagt die Mutter. Die Tatsache, dass ihnen niemand falsche Versprechungen gemacht hat, ist einer der Gründe, warum sie so großes Vertrauen in die Ärzte und das Pflegeteam am Klinikum Bayreuth gesetzt haben. „Wir hatten zu jedem Zeitpunkt das Gefühl, dass unser Kind hier in den besten Händen ist. Viele der Ärzte und Pflegekräfte sind uns in dieser Zeit sehr ans Herz gewachsen. Sie waren eine große Hilfe und Stütze für uns.“

In guten Händen

Dr. Winfried Rauch, Leitender Oberarzt in der Kinderklinik und im Perinatalzentrum der Klinikum Bayreuth GmbH, betreut die Familie von Anfang an. Er ist nicht nur Kinderarzt, sondern als Neonatologe auch Spezialist für Neugeborene – auch für die kleinsten unter ihnen. Ein Vorteil, den das zertifizierte Perinatalzentrum Level I bietet: Einer dieser Spezialisten ist hier rund um die Uhr abrufbereit. Die Freude darüber, dass Felix mit seinen Eltern die Klinik verlassen kann, ist ihm anzusehen. „Noch vor

15
‹ Nach gut fünf Monaten haben es Felix und seine Eltern mit Hilfe des Teams der Kinderklinik der Klinikum Bayreuth GmbH geschafft. Sie dürfen nach Hause. Felix war bei der Geburt nur 650 Gramm schwer.
„Ich hatte Riesenglück. Glück, dass ich bereits in der Klinik war, Glück, dass in diesem Moment eine Schwester und eine Hebamme nach mir sahen und ich nicht alleine war.“

drei Wochen haben wir diesen Tag nicht konkret vor Augen gesehen“, sagt er. Und er bleibt ehrlich: „Wir wissen nicht, wie die Entwicklung weitergehen wird. Aber die Voraussetzungen sind besser, als es zu hoffen und abzusehen war.“ Felix habe beinahe alles an Komplikationen „mitgenommen“, was bei so früh geborenen Kindern auftreten kann. „Aber die wirklich schlimmen Dinge, die hat er glücklicherweise dann doch ausgelassen.“

Dennoch hat die kleine Familie in den fünf Monaten viele Tiefs erlebt. Nach der Geburt stabilisiert Felix sich zunächst, die Lunge entwickelt sich aber zögerlich. Klar wird auch schnell: Seine Kreislaufsituation ist besonders. Was für ungeborene Kinder zur Versorgung im Mutterleib unerlässlich ist und sich normalerweise binnen Stunden oder Tagen bei Neugeborenen verwächst, ist für Felix nun ein lebensbedrohliches Problem. Wenn er eine Chance haben soll, muss er schnellstmöglich operiert werden, trotz des Risikos für den so kleinen Körper. „Anfangs war Felix‘ ganze Hand nur so groß wie der Daumennagel meines Mannes“, erinnert sich

Das Herz übersteht die Operation gut, aber Felix‘ Lunge ist schwach. Sie ist unterentwickelt. Von nun an ist er wieder voll auf die Beatmung angewiesen und kommt über Monate davon nicht mehr los. In der Folge beginnt die Netzhaut der Augen sich abzulösen. Die nächste OP. Dann wieder aufatmen. Er wird sehen.

Und dann auch noch Corona

Zur besonderen Belastungsprobe für die Familie wird der Januar. Miriam und Mathias erkranken an Corona. Der tägliche Besuch bei Felix wird damit unmöglich, Kontakt halten die Eltern über das Telefon. Schnell wird deutlich, wie sehr Felix der Kontakt fehlt. Obwohl sich die Pflegekräfte rührend um den kleinen Mann, der inzwischen der gesamten Station ans Herz gewachsen ist, kümmern, geht es ihm zusehends schlechter. „Die Schwestern und Ärzte haben uns nichts verschwiegen. ‚Wir stehen mit dem Rücken zur Wand‘, haben sie gesagt.“ Dann die erlösende Nachricht: Die Corona-Erkrankung ist ausgestanden und in der Nähe seiner Eltern erholt sich Felix langsam aber stetig. Das macht auch den Eltern Mut.

Als das erste Mal die Möglichkeit einer Entlassung im Raum steht, gehen die Ärzte dennoch davon aus, dass das nur mit Hilfe von Monitorüberwachung und Sauerstoff möglich sein wird. Doch sie sollten nicht Recht behalten. Wieder ist Felix der Glückliche. Als er das Klinikum mit seinen Eltern verlässt, liegt er zufrieden in seinem Babysafe, Miriam und Mathias Oehmig wirken entspannt und dürfen es auch sein. „Sie sind in den vergangenen Wochen richtige Spezialisten geworden, wenn es um ihr Kind geht“, sagt Rauch.

In den kommenden Wochen werden erfahrene Krankenschwestern die junge Familie daheim noch unterstützen. Über den Bunten Kreis ist diese Nachsorge, die es speziell für früh geborene und Kinder mit geistigen und körperlichen Beeinträchtigungen gibt, bereits organisiert. Ein doppelter Boden, der den Start ins Familienleben erleichtert. Damit die Oehmigs nun genießen können, worauf sie so lange warten mussten: Die erste gemeinsame Zeit daheim –glücklich.

MEHR INFOS:

Klinikum Bayreuth

Klinik für Kinder und Jugendliche Preuschwitzer Str. 101, 95445 Bayreuth

www.klinikum-bayreuth.de

GESUND LEBEN 16
‹ Tschüss Felix: Der kleine Mann und seine Eltern sind dem Team ans Herz gewachsen.
Bewusst leben

Ausgezeichnet!

Krebs-Zentren bekommen Bestnoten

Ein dickes Lob für das Onkologische Zentrum und die Organkrebszentren der Klinikum Bayreuth GmbH: Sechs Fachexperten der Deutschen Krebsgesellschaft haben fast alle Bereiche des Onkologischen Zentrums, des Brustzentrums, des Gynäkologischen Krebszentrums, des Darm- und Pankreaszentrums, des Hautkrebszentrums und des Zentrums für Hämatologische Neoplasien auditiert und sich von der Qualität der Betreuung von Patientinnen und Patienten mit Krebserkrankungen überzeugt.

Das Urteil der Fachexperten war durchweg sehr positiv. Sie haben keine Abweichungen festgestellt. Der Zertifizierungskommission der Deutschen Krebsgesellschaft wurde die Re-Zertfizierung aller Zentren ohne Einschränkung empfohlen. „Das positive Urteil der Fach-

experten ist Anerkennung der guten Arbeit aller Beteiligten“, sagt der Leiter Onkologischen Zentrums, Prof. Dr. Alexander Kiani. „Im Namen der Klinikum Bayreuth GmbH und der uns anvertrauten Patienten möchte ich mich für das Engagement und die Unterstützung herzlich bedanken.“

Die Zertifizierung von Krebszentren ist kein Selbstzweck. Die kürzlich veröffentlichte WIZen-Studie zeigt auf der Basis von Krebsregisterdaten von mehr als einer Million Patienten, dass Krebspatienten, die in zertifizierten Zentren behandelt werden, länger leben als solche, bei denen dies nicht der Fall ist. Diese Studie wird mittelfristig mit hoher Wahrscheinlichkeit dazu führen, dass sich die Behandlung von Krebspatienten auf zertifizierte Zentren konzentrieren wird.

17 Medizinisch neu Autor: Klinikum
Fotos: Klinikum
GESUND LEBEN
Bayreuth GmbH
Bayreuth GmbH
forP . D r . A l exand erKia ktorderKlinik für Hämatologieun ologie

High-Tech-Diagnostik

KLINIKUM BAYREUTH GMBH > NUKLEARMEDIZIN

Nuklearmedizin nimmt modernstes SPECT/CT in Betrieb

Prof. Dr. Stefan Förster, Direktor der Klinik für Nuklearmedizin an der Klinikum Bayreuth GmbH und Leiter des dortigen MVZ, setzt mit dem neuen Hybridgerät SPECT/CT auf zukunftsorientierte Diagnostik. Mit einer Investition von 700.000 Euro in neueste Medizintechnik können Erkrankungen noch rascher erkannt werden. „Patientinnen und Patienten profitieren von einer schnelleren, präziseren und aussagekräftigeren Diagnostik und auch von einer geringeren Strahlenbelastung. Das bedeutet für Betroffene weniger Untersuchungstermine, weniger Verlaufskontrollen und Befunde mit innovativster Technik.“

Das neue SPECT/CT (Einzelphotonen-Emissionscomputertomographie/ Computertomographie) ist eine präzise Kombination aus zeitgemäßer, hochempfindlicher SPECTBildgebung und vollwertiger CT-Schnittbildgebung und vereint damit im Rahmen einer Hybriddiagnostik zwei wesentliche Untersuchungsschritte aus den Fachbereichen Radiologie und Nuklearmedizin.

Vielfache Vorteile für Patientinnen und Patienten

Zum einen liefert die hochempfindliche SPECT-Untersuchung Informationen über Funktion und Stoffwechselvorgänge in den Organen oder zu biochemischen Eigenschaften bestimmter Tumore. Parallel

erstellt ein hochmodernes CT genaue radiologische Schnittbilder, die Anatomie und Struktur von Organen, aber auch Gewebeveränderungen wie Tumore, exakt abbilden.

In nur einem Untersuchungsschritt fließen optimiert alle relevanten Daten zusammen, um eine Vielzahl onkologischer, orthopädischer, kardiologischer und endokrinologischer Fragestellungen zu klären. „Die Daten, die wir bei dieser Untersuchung erhalten sind so aus-

GESUND LEBEN 18
„Patientinnen und Patienten profitieren von einer schnelleren, präziseren und aussagekräftigeren Diagnostik und von einer geringeren Strahlenbelastung.“
PROF. DR. STEFAN FÖRSTER
Autor: Klinikum Bayreuth GmbH Medizinisch neu
Foto: Klinikum Bayreuth GmbH Wertvolle Zeit gewinnen dank

Eine Investition in die Zukunft und in das Patientenwohl: Ein neues SPECT/CT ermöglicht dem Team der Klinik für Nuklearmedizin unter der Leitung von Prof. Dr. Stefan Förster (hintere Reihe, Zweiter von links) künftig noch genauere und aussagekräftigere Diagnosen.

sagekräftig, dass wir Patientinnen und Patienten insbesondere bei schwierigen klinischen Fragestellungen oftmals nicht nur eine Verlaufskontrolle mittels CT, sondern auch einen invasiven diagnostischen Eingriff zur Gewebeprobe ersparen können“, sagt Förster. Das spart wertvolle Zeit. „Eine schnellere Diagnosestellung führt zu einer früheren und effektiveren Behandlung“, so der Klinikdirektor.

Umfangreiche diagnostische Möglichkeiten

Dabei eignet sich die SPECT/CT-Hybriddiagnostik ebenso zur Abklärung einer Herzerkrankung, einer Knochenerkrankung, einer Lungenerkrankung (z.B. in Verbindung mit COVID-19), zur Erkennung einer Lockerung oder Entzündung von Gelenkimplantaten, zur Diagnostik von bösartigen Tumoren und Metastasen wie auch zur präoperativen Lokalisation von gutartigen Schilddrüsen- und Nebenschilddrüsentumoren.

Von den neuen Untersuchungsmöglichkeiten profitieren damit Patientinnen und Patienten unterschiedlichster Fachabteilungen im Hause und insbesondere auch niedergelassener Ärzte unterschiedlichster Disziplinen. „Viele Fragestellungen lassen sich jetzt vor Ort in nur einem Untersuchungsschritt innerhalb kürzester Zeit beantworten – ohne weite Wege für Patientinnen und Patienten und auf universitärem Spitzenniveau“, sagt Förster.

Eindeutige Befunde für Herzpatienten

Und das neue Gerät kann sogar noch mehr: Prof. Förster und seinem Team am Klinikum Bayreuth ist es nun außerdem möglich, eine SPECT und CT-Untersuchung des Herzens unter Belastung durchzuführen. Davon profitieren insbesondere Patientinnen und Patienten mit Verdacht auf eine koronare Herzerkrankung. „In einer Untersuchung wird hierbei ein Belastungs-Echokardiogramm (EKG) aufgezeichnet, das Herz und der Kalk-Gehalt der Herzkranzgefäße im CT dreidimensional abgebildet sowie mittels SPECT die Durchblutung und Pumpfunktion des Herzens bestimmt. Damit wird unmittelbar klar, ob es sich um eine behandlungsbedürftige, belastungsinduzierte Durchblutungsstörung des Herzmuskels handelt und welches Herzkranzgefäß für die Durchblutungsstörung verantwortlich ist.

„Diese SPECT/CT-Installation ist ein weiterer Meilenstein an der Klinikum Bayreuth GmbH und untermauert unseren Status als überregional maximalversorgendes nuklearmedizinisches Zentrum”, sagt Prof. Dr. Stefan Förster.

MEHR INFOS:

Klinik für Nuklearmedizin

Direktor: Prof. Dr. Stefan Förster

Telefon: 0921 / 400-6702

E-Mail: nuklearmedizin@klinikum-bayreuth.de www.klinikum-bayreuth.de

19

Endlich wieder mehr Lebensqualität

Neues Verfahren: Erste kathetergestützte Trikuspidalklappen-Rekonstruktion am Klinikum – der Patientin geht es sehr gut

Viel zu lange gab es für diese Patientinnen und Patienten keine wirklich gute Therapie. Das ändert sich jetzt. Das Team der Klinik für Kardiologie, Angiologie und Internistische Intensivmedizin an der Klinikum Bayreuth GmbH hat erstmals bei einer Patientin die Trikuspidalklappe der rechten Herzkammer mit Hilfe eines Katheterverfahrens rekonstruiert. Der Eingriff ist ausgesprochen erfolgreich verlaufen und wird künftig zum Standardprogramm des Herzkatheterlabors gehören.

Kathetergestützte Klappentherapie nicht aufzuhalten

Klar, wenn man etwas Neues macht, ist es besonders. Doch ganz ohne Erfahrung sind Klinikdirektor Prof. Dr. Christian Stumpf und sein Team natürlich nicht in diesen Eingriff hineingegangen. Im Gegenteil. Seit Jahren bereits setzen sie Clips in die Mitralklappen von Patientinnen und Patienten ein. Die Mitralklappe liegen zwischen dem linken Vorhof und der linken Kammer des menschlichen

GESUND LEBEN 20
Medizinisch neu
INTERNISTISCHE INTENSIVMEDIZIN
Herzens. Michael Pillasis (Leitung Herzkatheterlabor), Dr. Klaus Lang-Schwarz (Oberarzt Anästhesie), Prof. Dr. Christian Stumpf (Klinikdirektor Kardiologie) und Verena Bauer (Oberärztin Kardiologie) mit dem PASCAL Reparatursystem, das die kathetergestützte Trikuspidalklappen-Rekonstruktion ermöglicht.

Sie wirken wie ein Ventil, verhindern Rückfluss und Stauungen in der Blutbahn. Wenn diese Klappen oftmals altersbedingt nicht mehr richtig schließen, büßen Patientinnen und Patienten zum Teil deutlich an Lebensqualität ein. Sie sind nicht mehr so belastbar, wie sie es sein könnten. Sie haben Luftnot. Das ändert sich in der Regel rasant, wenn ein oder zwei Clips die Mitralklappen abdichten. Die Patientin oder der Patient sind während des Eingriffs wach, die Clips werden über einen Katheter und über einen Venenzugang in der Leiste bis in die linke Herzkammer geschoben. „Von diesem Verfahren profitieren sehr viele Menschen“, sagt Prof. Stumpf.

Trikuspidalklappe – die bisher vernachlässigte Klappe

Neu ist, dass jetzt auch die Klappen der rechten Herzseite auf diese Weise abgedichtet werden können. Gerade die Tatsache, dass dieser Eingriff über einen Katheter stattfindet und keine große Operation mit sich bringt, ist ein deutlicher Fortschritt. Prof. Dr. Stumpf: „Patientinnen und Patienten mit Undichtigkeiten rechts sind oftmals älter und bringen Begleiterkrankungen mit. Für sie scheidet die Möglichkeit einer Operation in vielen Fällen aus.“ Keine Operation bedeutete bislang allerdings einen hohen Leidensdruck: Wasser in den Beinen und ein aufgeblähter Bauch, eingeschränkte Belastbarkeit, Luftnot und Klinikaufenthalte sind die häufigsten Probleme, mit denen Patientinnen und Patienten bislang leben mussten. In den schweren Fällen kann es auch zu gestauten Nieren oder einer gestauten Leber kommen –mit allen Schmerzen und Einschränkungen, die sich daraus ergeben. Und übrigens: Nicht selten haben Undichtigkeiten links und rechts miteinander zu tun. Undichte Klappen links bewirken, dass die rechte Herzhälfte stärker belastet wird. Und dies kann die Trikuspidalklappen schädigen.

Komplexe Anatomie, aber machbar

Ja, sagt Prof. Dr. Stumpf. Trotz aller Parallelen der Eingriffe an der linken und rechten Herzkammer, gibt es auch deutliche Unterschiede. Trikuspidalklappen abzudichten ist schon deshalb komplexer, weil die Trikuspidalklappe meist drei Segel hat (manchmal sogar vier) – in der linken Herzkammer arbeiten zwei Segel der Mitralklappe. „Zudem ist bei jeder Patientin und jedem Patienten die Anatomie etwas anders“, sagt Prof. Dr. Stumpf. Darauf gilt es sich einzustellen. Ein weiterer Unterschied: Während des Eingriffs werden Patientinnen und Patienten beatmet. Das ist schlicht eine Sicherheitsmaßnahme, denn die Betroffenen sind oftmals in keinem guten gesundheitlichen Zustand.

Die Trikuspidalklappe ist eine von vier Herzklappen. Sie ist das Ventil zwischen dem rechten Vorhof und der rechten Herzkammer. Durch sie fließt sauerstoffarmes Blut aus dem Körper in die rechte Herzkammer und wird von dort in die Lungen gepumpt.

So war das auch bei der ersten Patientin, die sich jetzt dem neuen Eingriff an der Klinikum Bayreuth GmbH unterzogen hat. Sie ist über 80, geistig voll auf der Höhe, körperlich allerdings eingeschränkt und regelmäßiger Gast in der Klinik. Nach dem Eingriff hat sie einen Tag auf der Intensivstation verbracht, auch das eine Sicherheitsmaßnahme. „Sie fühlte sich schon unmittelbar danach deutlich besser“, sagt Prof. Dr. Stumpf. „Es geht ihr sehr gut.“

MEHR INFOS:

Klinik für Kardiologie, Angiologie und Internistische Intensivmedizin Klinikum Bayreuth

Preuschwitzer Str. 101, 95445 Bayreuth www.klinikum-bayreuth.de

21
Autor: Klinikum Bayreuth GmbH Foto: Klinikum Bayreuth GmbH

Kommt in Bewegung!

Regelmäßige Bewegung ist gesund – und macht gute Laune! Warum das so ist und was man tun kann, um ein Leben lang fit zu bleiben, lesen Sie auf den folgenden Seiten.

GESUND LEBEN 22 Schwerpunkt Bewegung S C H PREW UTKN · B E WEGU NG· +

Aquafitness: Die Bewegung im Wasser bietet ein gelenkschonendes Ganzkörpertraining, das Kraft, Beweglichkeit und Ausdauer steigert. Und darüber hinaus auch noch viel Spaß macht und die Entspannung fördert.

23
Foto: Klinikum Bayreuth GmbH

Gebt den Kindern

Bewegungsfreiheit

Für Kinder ist Bewegung nicht einfach nur wichtig. „Sie ist vom ersten Tag an nahezu lebensnotwendig“, sagt Prof. Dr. Thomas Rupprecht, Direktor der Klinik für Kinder und Jugendliche an der Klinikum Bayreuth GmbH.

GESUND LEBEN 24 Schwerpunkt Bewegung
Autor: Klinikum Bayreuth GmbH Fotos: Klinikum Bayreuth GmbH, Unsplash / Anna Samoylova KLINIKUM BAYREUTH GMBH > KINDERKLINIK

Bewegung ist nicht nur für den Körper gut. Auch die intellektuelle Entwicklung von Kindern hängt davon ab. Woher man das so genau weiß? Aus klinischen Studien und aus langer Erfahrung. In Russland gab es lange Zeit die Tradition, Kinder wie Mumien einzuwickeln, um sie zu beruhigen. Das aber hatte auch negative Folgen. „Durch diese Bewegungseinschränkung konnten die Entwicklung der Knochen und der Muskulatur nicht altersgerecht erfolgen“, sagt Prof. Rupprecht. „Und auch die intellektuellen Fähigkeiten dieser Kinder zeigten sich als eher unterdurchschnittlich.“

Raum für Bewegung schaffen

Bewegung stärkt den Körper des Kindes, Knochen und Muskeln halten damit Schritt mit Wachstum und Gewichtszunahme. Und das vom ersten Tag an. Eltern, sagt Prof. Rupprecht, können ihre Kinder auf eine denkbar einfache Weise dabei unterstützen. „Eine spezielle Bewegungsförderung ist sicherlich nicht schädlich, aber sie ist in der Regel im frühen Kindesalter nicht notwendig. Es reicht völlig aus, Kindern die Möglichkeit zur Bewegung zu geben. Ihnen buchstäblich Bewegungsfreiheit zu lassen.“ Kleinkinder lernen zuerst den Kopf zu heben. Dann folgen Sitzen, Krabbeln und Laufen. In den allermeisten Fällen geschieht dies, ohne dass Eltern allzu viel Ehrgeiz entwickeln müssen.

Eines sollten Mama und Papa nicht tun, sagt der erfahrene Kinderarzt. Sie sollten ihrem Kind keinen Gehfrei antun. Denn damit werden natürliche Bewegungsabläufe stark eingeschränkt, wird die normale physiologische Entwicklung eher gebremst. Außerdem lernen Kinder durch das Hängen in der Lauflernhilfe ein falsches Gangbild, was in der Folge behandelt werden muss. Und es kann zusätzlich zu Fußfehlstellungen und Muskelverkürzungen kommen.

Die Pubertät ist die zweite entscheidende Bewegungsphase bei Kindern und Jugendlichen. Denn dann verdrahtet sich das Gehirn neu. „In dieser Zeit erlernt das Gehirn auch die Bewegungskoordination neu“, sagt Prof. Rupprecht. Anders als in der frühkindlichen Phase kann es dann durchaus sinnvoll sein, Jugendliche zu Sport und Bewegung zu motivieren. Dabei haben Eltern eine Vorbildfunktion. „Familien, die zum Schwimmen und zum Wandern gehen oder bei denen das Fahrrad als Verkehrsmittel oder in der Freizeit eine Rolle spielt, tun Jugendlichen in der Pubertät gut.“

Risiko Trampolin

Und nicht nur in der Pubertät. Wissenschaftliche Studien haben eindeutig belegt, dass sportliche Kinder und Jugendliche ein deutlich geringeres Unfallrisiko haben. Sie sind motorisch geschickter und reagieren in gefährlichen Situationen schneller und besser. Apropos

Unfall: Die Trampolins, die in vielen Vorgärten stehen, hält der Kinderarzt für keine gute Idee. Zu viele Kinder hat er schon behandeln müssen, die sich beim Trampolinspringen zum Teil erheblich verletzt haben.

MEHR INFOS:

Prof. Dr. Thomas Rupprecht

Direktor der Kinderklinik, Tel: 0921 400-6202

E-Mail: kinderklinik@klinikum-bayreuth.de www.klinikum-bayreuth.de

25
P r o f . D r . Th omasRupp tDirektor der KinderklinikderKl Bayreuth Gm b H
‹ Draußen, in der Gruppe und mit Spaß: Bewegung ist für Kinder lebensnotwendig.
„In der Pubertät erlernt das Gehirn die Bewegungskoordination neu.“
PROF. DR. THOMAS RUPPRECHT

Bewegung und Ernährung

Die Diakonie Bayreuth ist der größte Kita-Träger in Stadt und Landkreis Bayreuth und betreut mit seinen Krippen, Kindergärten und Horten nahezu 1.800 Kinder. Selbstverständlich hat vor allem auch das Thema „Gesund leben“ in all diesen vielfältigen Betreuungsangeboten einen zentralen Stellenwert und so setzt die frühkindliche Bildung an allen Standorten der Diakonie Bayreuth hier an. Die Thematik ist im Bayerischen Bildungs- und Erziehungsplan an vielen Stellen

integriert, doch darüber hinaus ist man sich der Verantwortung bewusst, die man für die Zukunft der Kinder in diesen Bereichen hat: Bewegung und Ernährung müssen von klein auf im Leben eine Rolle spielen, um ein gesundes Aufwachsen zu ermöglichen und somit den Grundstein für das Gesundheitsbewusstsein im Erwachsenenleben zu legen. Die Diakonie Bayreuth hat diese Bereiche daher bewusst tief in ihren pädagogischen Konzepten verankert und im Wochenplan regelmäßig entsprechende Einheiten eingeplant.

„Man kann nicht früh genug damit beginnen“ – die Kitas der Diakonie Bayreuth legen den Grundstein für ein gesundes Leben
DIAKONIE BAYREUTH > KITAS
26
GESUND LEBEN Schwerpunkt Bewegung

Bewegung – am besten an der frischen Luft

In den Einrichtungen finden beispielsweise wöchentliche Bewegungs- und Motorikangebote statt. Ob Barfußturnen mit den Kleinsten oder ein regelmäßiger Hortbewegungstag für die Schulkinder – Bewegung ist zentraler Bestandteil des Kita-Wochenplanes, passgenau vom Krippen- bis zum Hortkinderalter. Und das dann natürlich am besten noch draußen in der Natur: Es muss ja nicht gleich der Waldkindergarten der Kita Werner-Siemens-Straße sein, in dem die Kinder ausschließlich und bei jedem Wetter draußen unterwegs sind. In allen Kitas der Diakonie Bayreuth sind Naturentdeckertage oder Waldausflüge besondere Highlights für die Kinder und speziell organisierte Spiele und Aktionen begeistern sie für Bewegung an der frischen Luft.

Auch die Krippe Uni Birken ist bezüglich „frühkindliche Bewegungsangebote“ ein herausragendes Beispiel: Geplant und gebaut in Kooperation mit der sportwissenschaftlichen Fakultät der Universität Bayreuth und dem bewussten Schwerpunkt der Bewegungserziehung schon für die Kleinsten findet sich hier räumlich alles, was es braucht, um das Bewusstsein für ein aktives Leben zu stärken.

Ernährung – gesund und lecker

Nicht unerheblich für das wachsende Gesundheitsbewusstsein der Kleinen ist natürlich auch das Thema der gesunden Ernährung. Die Kindertagesstätte Werner-Siemens-Straße und auch der neue Standort der Kita Kreuz in der Fröbelstraße haben beispielsweise im pädagogischen Konzept eine entsprechende Versorgung mit Essen festgelegt – es wird täglich vor Ort durch eine eigene Köchin frisch und ausgewogen gekocht. Aber auch in den anderen Kitas der Diakonie Bayreuth hat das Thema gesunde Ernährung einen hohen Stellenwert im Kita-Alltag: So lockt nicht nur ein wöchentliches gesundes Frühstück, sondern viele Kindergartenkinder setzen sich in ihrer Einrichtung bewusst mit dem Thema auseinander. In Projekten wird etwa Gemüse selbst angebaut - wie beispielsweise in unserer Kita Hammerstatt – und monatliche „Lecker-

Entdecker-“ oder „Müsli-Tage“ machen in der Kita Laineck Lust auf abwechslungsreiche Ernährung.

Grundstein legen für ein gesundes Leben

Es ist eine Kombination aus festen, wiederkehrenden Thementagen, Projektangeboten und dem Einbauen in den ganz normalen Kita-Alltag, was die Themen Bewegung und Ernährung für die Kinder greif- und erlebbar machen soll – und damit den Grundstein für ein gesundes Leben legt. Warum die Kitas der Diakonie Bayreuth also besonderen Wert auf diese Bereiche legt, ist klar: Letztendlich sind Gesundheit und Wohlbefinden die besten Voraussetzungen für die Lern- und Bildungsfähigkeit von Kindern, und das wird hier jeden Tag miteinander möglich gemacht.

MEHR INFOS: www.diakonie-bayreuth.de/ kinder-jugend-und-familie

Alle Zeichen auf Bewegung: Gruppenraum der Kita Uni Birken
27
Autor: Diakonie Bayreuth Fotos: Diakonie Bayreuth, Adobe Stock

Wo ich steh‘ und geh‘

Der Fuß: das vernachlässigte und doch so wichtige Körperteil

Dr. Miriam Grüninger ist Orthopädin und beschäftigt sie sich seit 2002 intensiv mit Füßen. In den vergangenen acht Jahren hat sie sich bei der D.A.F. (Deutsche Assoziation für Fuß- und Sprunggelenkschirurgie) zusätzlich weiterqualifiziert und ist nun nicht nur die Leiterin des zertifizierten Fußzentrums an der Klinik Hohe Warte, sondern dort auch Hauptoperateurin. Zu ihr kommen nicht die Patientinnen und Patienten, die bei Glatteis ausgerutscht sind, die sich beim Skifahren oder Schlittschuhlaufen verletzt haben. Wer zu ihr in die Sprechstunde kommt, hat meist eine längere Leidensgeschichte.

Willkommen ist erst einmal jeder. Jeder, der mit den Füßen Probleme hat. Spezialisiert ist das Fußzentrum der Klinikum Bayreuth

GmbH aber vor allem auf die operative Behandlung von krankhaften Veränderungen am Fuß, die kaum oder nicht mehr mit konservativen Maßnahmen wie Einlagen oder Schuhzurichtungen, Krankengymnastik oder Medikamenten behandelbar sind.

Häufig kommen Patienten mit Arthrose im Grundgelenk der großen Zehe, mit sogenannten

Krallenzehen oder einem Hallux Valgus. Dabei ist es meist der Schmerz beim oder nach dem Belasten oder der Schuhkonflikt, der Probleme macht. Viele haben die konservativen Möglichkeiten bereits weitestgehend ausgeschöpft, so dass eine Operation sinnvoll und nötig ist. Doch leider kann der Schaden damit häufig nicht mehr oder nur noch teilweise rückgängig gemacht werden. Trotzdem lassen sich durch eine Operation in der Regel Schmerzfreiheit oder deutliche Schmerzlinderung und bessere Funktionalität erreichen.

Frühzeitig behandeln

Nicht alle Operationen lassen sich vermeiden, viele allerdings zumindest hinausschieben. Ein angeborener Knick-Senk-Fuß erhöht beispielsweise das Risiko einer Arthrose, ein Spreizfuß die Gefahr eines Hallux Valgus. „Beides könnte man frühzeitig behandeln und so die Beschwerden vielleicht nicht verhindern, aber doch deutlich hinauszögern“, sagt Dr. Miriam Grüninger. Die wenigsten Krankheitsbilder im Bereich des Fußes müssen primär operativ behandelt werden.

Und die Orthopädin sagt auch: „Wir schenken der Gesundheit unserer Füße zu wenig Beachtung.“ Auch, wenn die Ursache für schmerzhafte Ver-

GESUND LEBEN 28 Schwerpunkt Bewegung
Autor: Klinikum Bayreuth GmbH Fotos: Klinikum Bayreuth GmbH
rD GmairiM tzrÄtsireg lci h e L e i t un gdesZentru Fuß- undSprunggelenkschirurgie achärztin f ür O r t h o däp i e hRdnumue eig .

änderungen des Vorfußes meist eine angeborene oder erworbene Fehlstellung ist, so könnte man doch frühzeitig gegensteuern. Zum Beispiel mit entsprechenden Einlagen. Dennoch scheint das Motto vor allem bei Frauen oft zu lauten: Wer schön sein will, muss leiden. Zu enge Schuhe und hohe Absätze sind Gift für die Füße. Sie werden selbst dann noch getragen, wenn erste Anzeichen einer Hammerzehe oder eines Hallux Valgus zu sehen und zu spüren sind. Oft sogar so lange, bis jeder Schritt zur Qual wird. Männer sind bei der Wahl ihres Schuhwerks deutlich pragmatischer und daher auch seltener betroffen.

Bitte keine Schönheits-OP!

Ein Spaziergang ist eine Fußoperation nicht. Sie ist nicht nur schmerzhaft, sondern auch langwierig. Daher argumentiert Dr. Miriam Grüninger entschieden gegen reine Schönheitskorrekturen. Der Fuß muss uns tragen – nach einer Operation sind Patientinnen

und Patienten aber rund zwölf Wochen zum Nichtstun verdonnert und dürfen nur langsam wieder im wörtlichen Sinn in die Gänge kommen: schrittweises Belasten, Physiotherapie, Gangschulung – das zieht sich über mehrere Monate. Wer die Ruhe nicht einhält, riskiert Komplikationen.

Anders liegt die Sache, wenn Schmerzen vorhanden sind. Viele Patienten leben nach einer Operation schmerzfrei – ein enormer Gewinn an Lebensqualität. Selbst wenn ein Risiko besteht, dass die Probleme beispielsweise bei einem Hallux Valgus oder in Form einer Anschlussarthrose wiederkommen, lohnt es sich.

MEHR INFOS:

Zentrum für Fuß- und Sprunggelenkschirurgie

Klinik Hohe Warte, Hohe Warte 8, 95445 Bayreuth

Mail: orthopaedie@klinikum-bayreuth.de www.klinikum-bayreuth.de

29

Damit

Sie gut durchs Leben gehen

Die Dynamische Fußanalyse tut nicht nur Ihren Füßen gut

GESUND LEBEN 30 Autor: reha team
Foto:
/
Schwerpunkt Bewegung
Nordbayern
Adobe Stock
Microgen
REHA TEAM NORDBAYERN Mit Hightech zur Fußanalyse: Mit Hilfe von Kameras werden die Bewegungen nachvollziehbar

Unser Fuß besteht aus …

Unsere Füße sind kleine anatomische Wunder – sie tragen uns durch den Alltag und bekommen von uns häufig nicht die Aufmerksamkeit, die ihnen eigentlich zustehen würde. Mit einem ausgeklügelten Zusammenspiel aus 28 Knochen, 32 Muskeln und Sehnen, 27 Gelenken und 107 Bändern sorgen sie dafür, dass wir aufrecht gehen können. Sie sind für Gleichgewicht und Stabilität verantwortlich und werden jeden Tag stark beansprucht.

Individuell von Kopf bis Fuß

Dabei ist jeder Fuß individuell, und kaum einer entspricht dem „Idealbild“. Wird der Fuß in der Bewegung jedoch dauerhaft über- oder fehlbelastet, können verschiedene Fehlstellungen, Erkrankungen und Verletzungen die Folge sein. Eine wichtige Rolle spielt oft die Veranlagung: Manche Menschen haben zum Beispiel ein schwaches Bindegewebe und deshalb einen weniger stabilen Halteapparat im Fuß. Daneben können auch angeborene Fehlstellungen oder Krankheiten wie Arthrose oder Rheuma zu Schmerzen führen oder das Gangbild verändern. Im Laufe der Zeit resultiert aus manchen Fehlstellungen eine Verformung der Zehen oder von Teilen des Fußes. In der Folge werden Sehnen und Muskeln überbeansprucht und können Schaden nehmen. Häufig bilden sich an Füßen mit Fehlstellungen Schwielen, Druckgeschwüre und übermäßig Hornhaut. Spürbar ist eine Fehlbelastung der Füße nicht selten vor allem in den Gelenken, die schneller verschleißen. Hier erhöht sich die Gefahr, im Laufe des Lebens an Arthrose zu erkranken. Um es auf den Punkt zu bringen: Sind die Füße nicht im Lot, ändert sich die gesamte Statik des Körpers; auch Knie-, Hüft, Rücken- oder Kopfschmerzen sind häufig auf falsche Stellungen oder Belastungen der Füße zurückzuführen.

Für alle die gerne aktiv sind, Sport treiben oder auch aus beruflichen Gründen viel auf den

Beinen sind, ist eine dynamische Fußanalyse bei reha team Nordbayern durch den Physiotherapeuten Holger Thauwald eine perfekte Möglichkeit, ihren Füßen etwas Gutes zu tun und einen großen Beitrag für gesundes Gehen bis ins hohe Alter zu leisten. Im Rahmen der Videoanalyse wird Fußproblemen oder Schmerzen in oder an den Füßen auf den Grund gegangen, auch die Körperstatik und das Gangbild fließen in die Auswertung ein. Der etwa 15-minütige Termin liefert genaue Informationen über mögliche Fehlbelastungen der Füße in Bewegung. Dabei werden mehrere Schrittfolgen aufgezeichnet, um die Ganglinie, das Abrollverhalten des Fußes, die Druckbelastung und den Kraftverlauf der Bewegung analysieren zu können.

Ihrer Fußgesundheit zuliebe

Direkt nach der Videoaufzeichnung des Gangbildes werden die Ergebnisse vom erfahrenen Physiotherapeuten des reha team Nordbayern interpretiert und verständlich und ausführlich erläutert. Sie erhalten gleich vor Ort Empfehlungen zu möglichen Therapieformen, Übungen zu Stärkungen der Muskulatur, gegebenenfalls auch zu Einlagen oder speziellen Schuhen, um Ihre Fußstellung gezielt zu verbessern.

Da jeder Fuß ganz spezifische Stärken und Schwächen aufweist, profitiert Ihre Fußgesundheit enorm von einer videogestützten fachmännischen Analyse. Schließlich leisten uns unsere Füße Tag für Tag wertvolle Dienste. Grund genug also, ihnen mit einer dynamischen Fußanalyse auch einmal etwas zurückzugeben – damit Sie noch lange gut in Bewegung bleiben können.

MEHR INFOS:

reha team Nordbayern Gesundheitstechnik GmbH

Bereich: reha team Active, Leitung: Holger Thauwald Am Bauhof 11, 95445 Bayreuth, Tel. (0921) 74743-38 www.rehateam-nordbayern.de

31
28
27
Knochen
32
Muskeln & Sehnen Gelenken
107
Bändern

Gut zu Fuß durch den Sommer

Einlagen und Ortho Flip Flops

Ganz gleich, ob wir Marathon laufen, mit Freunden am Wochenende wandern gehen, gemütlich durch die Stadt flanieren oder mit dem Rollator eine kleine Runde drehen – unsere Füße spielen bei der Fortbewegung eine entscheidende Rolle. Wir sollten also alles dafür tun, dass es ihnen gut geht und wir auch langfristig ohne Beschwerden laufen können.

Eine wichtige Unterstützung, um eine Fehlstellung des Körpers beim Gehen auszugleichen und Schmerzen zu lindern, bieten individuell hergestellte Einlagen. Wenn die ärztliche Diagnose feststeht, sind die Experten des reha team Nordbayern gefragt: Sie scannen die Füße mit modernster Technik und erstellen dann einen virtuellen Abdruck am

Computer. So lässt sich erkennen, wo genau die Problemstellen sind und die Einlagen können passgenau angefertigt werden. Perfekt sitzende Einlagen entlasten Gelenke und Muskulatur und verbessern die Lauf- und damit Lebensqualität nachhaltig.

Flip Flop nach Maß – ein gutes Fußgefühl

Aber nicht nur mit Einlagen in geschlossenen Schuhen, auch mit leichtem Schuhwerk lässt sich eine Menge für die Fußgesundheit tun. Denn auch in der heißen Jahreszeit benötigen unsere Füße Unterstützung und Aufmerksamkeit, um frühzeitige Abnutzungserscheinungen und unangenehme Schmerzen zu vermeiden. Dass sommerliche Fußgesundheit ohne modische Abstriche und sehr stylisch gelingen kann, beweist das reha team Nordbayern.

GESUND LEBEN 32
Schwerpunkt Bewegung Individuelle Flip Flops › fertigt das reha team Nordbayern anhand Ihres Fußabdrucks.

Perfekt sitzende Einlagen entlasten

Gelenke und Muskulatur und verbessern die Lauf- und Lebensqualität nachhaltig.

Sommerzeit ist Flip-Flop-Zeit. Neben Sonnenbrillen, Eis und bunten Tops ist das beliebte sommerlich-luftige Schuhwerk wohl das wichtigste Accessoire der warmen Jahreszeit. Allerdings haben Flip Flops oft ein gravierendes Manko: Sie sorgen für schmerzende Füße und Blasen zwischen den Zehen. Ein Problem, das die Profis des reha team Nordbayern mit einer kleinen Schuhrevolution gelöst haben: maßgefertigten Ortho Flip Flops. Da jedes Paar einzigartig ist und individuell nach dem jeweiligen Fußabdruck gefräst wird, ist bei Ortho Flip Flops ein perfekt sitzendes Fußbett garantiert. Leichtigkeit und sicherer Halt gehen so Hand in Hand und bewahren Bänder und Sprunggelenk vor Überlastung.

Auch der sonst oft reibende Zehensteg ist bei Ortho Flip Flops dank des schuhorthopädischen Know-hows kein Störfaktor mehr und wird individuell je nach Fußabdruck gesetzt. Aufatmen können auch alle vom Fersensporn Geplagten, denn eine optionale Aussparung sorgt hier für deutliche Entlastung. Für mehr Gehkomfort können ebenfalls Innen- und Außenranderhöhungen berücksichtigt werden. So lassen sich auch weitere Wege mit den personalisierten Modellen bequem zurücklegen.

Stylisches Unikat nicht nur für Strandbesuche

Ortho Flip Flops punkten aber nicht nur in Sachen Fußgesundheit, auch optisch machen sie einiges her, wird doch jedes Paar nach persönlichem Geschmack von einem Orthopädietechniker handgefertigt. Drei verschiedene Grundmodelle stehen dabei zur Auswahl, wobei eines als Alternative zum Zehensteg eine Pantoletten-Form aufweist. Die Farben von Laufsohle, Zehenband, Zwischensohle, Fußbett und Innenfutter können je nach Vorliebe aus einer breiten Palette gewählt und kombiniert werden – der Kreativität sind hier keine Grenzen gesetzt.

Jedes Paar Ortho Flip Flops ist damit ein echtes Unikat, das Sie komfortabel durch den Sommer trägt. Allen Sonnenanbetern und Strandliebhabern sei also empfohlen: Hinterlassen Sie Ihren Fußabdruck beim reha team Nordbayern und genießen Sie die sockenfreie Zeit mit Ihren persönlichen Ortho Flip Flops.

MEHR INFOS:

reha team Nordbayern Gesundheitstechnik GmbH

Bereich: reha team Einlagenmanufaktur

Am Bauhof 11, 95445 Bayreuth, Tel. (0921) 74743-67 www.rehateam-nordbayern.de

33 Autor: reha team
Foto: Shutterstock /
Nordbayern
Akira Kaelyn
GESUND LEBEN 34 Schwerpunkt Bewegung Autor: Klinikum Bayreuth GmbH Fotos: Klinikum Bayreuth GmbH
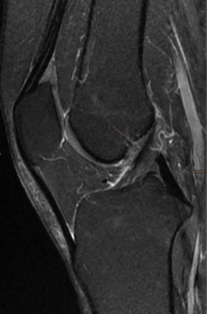
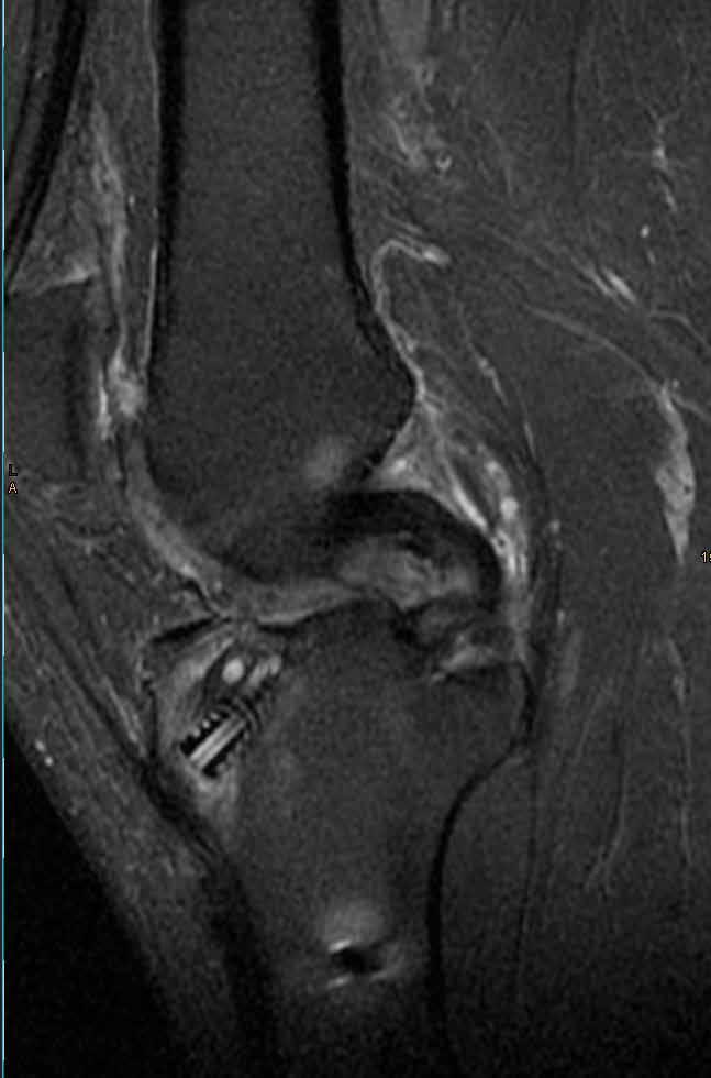
KLINIKUM BAYREUTH GMBH > RADIOLOGIE O B E R S C H E N K E LK N O C H E N S C H I E N B E I NK N O C H E N GELENKERGUSS K N I E S C H E I B E K N I E S C H E I B E Kreuzband-
VORDERES KR E U Z B A N D HINTERES KREUZBAND
Der Blick ins Knie
Riss Normales Kreuzband

Wenn es bei Bewegung schmerzt oder zwickt, ist eine exakte Diagnose entscheidend. Da kommen auch die Radiologen ins Spiel: PD Dr. Thorsten Klink, Direktor des Instituts für diagnostische und interventionelle Radiologie an der Klinikum Bayreuth GmbH, macht einen Blick ins Knie möglich. Hier wird deutlich, was moderne Bildgebung kann. KREUZBANDRISS

KreuzbandPlastik

35 S C H I E N B E I NK N O C H E N S C H I E N B E I NK N O C H E N O B E R S C H E N K E LK N O C H E N O B E R S C H E N K E LK N O C H E N K N I E S C H E I B E S C H RAU B E KREUZBANDPLASTIK
H I N TERES KREUZB A N D

Weißes Gold im Knie

Die Prothese, das ist der Heavy Metal der Orthopädie – und meist der Standard, um Patientinnen und Patienten mit fortgeschrittener Arthrose in den großen Gelenken zu behandeln. „Oft ist es auch die richtige Therapiewahl“, sagen Christian Benker und Dr. Mark Schmolze vom Endoprothetikzentrum an der Klinik Hohe Warte. Sie sagen aber auch: Ansetzen sollte man viel früher. Am Knorpelkompetenzzentrum der Klinikum Bayreuth GmbH an der Klinik Hohe Warte setzt man auf das weißes Gold: den Knorpel. „Es gibt sehr gute Möglichkeiten, einen defekten Knorpel wieder aufzubauen“, sagt Benker. „Und das kann Patientinnen und Patienten oft über einen langen Zeitraum die Prothesenversorgung aufschieben oder sogar ersparen.“

Jahrelang falsch belastet

Teil- und Vollprothesen, Individualprothesen, Wechseleingriffe – als Hauptoperateure des Endoprothetikzentrums haben Benker und Schmolze das gesamte Spektrum des Gelenkersatzes zu bieten. Die richtige Therapie beginnt in ihren Augen aber bereits lange vor dem Gelenkersatz. Die beiden Ärzte sind nicht nur Hauptoperateure im Endoprothetikzentrum, sie sind zudem Mitglieder im Qualitätskreis Knorpel-Repair & Gelenkerhalt e. V. und haben an der Klinik Hohe Warte ein Knorpelkompetenzzentrum etabliert.

„Ein Knorpelverschleiß ist meist das Ergebnis jahrelanger Fehlbelastung. Zum Beispiel führen Übergewicht, X-Beine oder O-Beine zu falscher Belastung, der Knorpel nutzt ab und das verursacht Schmerzen. Wenn erste Beschwerden auftreten, sollten Patienten nicht allzu lange warten und lieber gleich zum Orthopäden ge-

GESUND LEBEN 36 Autor:
Foto:
Klinikum Bayreuth GmbH
Klinikum Bayreuth GmbH
KLINIKUM BAYREUTH GMBH > KNORPEL-KOMPETENZZENTRUM
Die Klinik für Orthopädie an der Hohen Warte setzt auf individuelle Therapieplanung und rät daher nicht immer gleich zur Prothese
Schwerpunkt Bewegung
Christian M. Benker (l.) ist Leitender Oberarzt der Klinik für Orthopädie und Koordinator des Endoprothetikzentrums. Dr. Mark Schmolze (r.) ist Oberarzt der Klinik für Orthopädie und Standortleiter des Endoprothetikzentrums an der Hohen Warte.

hen“, sagt Benker. „So gewinnen wir wertvolle Zeit.“ Denn er weiß: Ist der Knorpel erst einmal großflächig verschlissen, dann lässt sich die Arthrose meist nicht mehr aufhalten. Aus diesem Grund ist es wichtig, Defekte frühzeitig zu erkennen. „Das künstliche Gelenk lässt sich nicht immer verhindern, aber in vielen Fällen um Jahre hinauszögern – und das erspart Patienten vielleicht eine komplizierte Wechseloperation im Alter.“ Die Behandlung sollte daher bereits möglichst früh ansetzen.

Ein guter Nachbau

Im Knorpelkompetenzzentrum machen sich Benker und Schmolze zunächst beim Röntgen und wenn nötig beim MRT ein Bild: Wie weit ist der Knorpelschaden fortgeschritten? „Wir können die Arthrose noch nicht heilen, aber mithilfe von zum Beispiel zellfreien Implantaten die lokal begrenzten Defekte reparieren. Beim sog. „MincedCartilage“ wird eine kleine Menge körpereigenes Knorpelgewebe entnommen und zerkleinert. Mit dieser Masse wird der Defekt aufgefüllt und durch ein Kollagen-Implantat verschlossen. Innerhalb von Wochen bildet sich neuartiges Knorpelgewebe.

„Es ist ein guter und belastbarer ‚Nachbau̒, der viele Jahre halten kann“, sagt Benker. Denn mangelnde Belastbarkeit ist es, was viele Patientinnen und Patienten fürchten. „Zu Unrecht“, sagt Benker.

Bereits vor mehr als zehn Jahren hat man an der Klinik Hohe Warte begonnen, Knorpelgewebe zu transplantieren. Autologe Knorpelzelltransplantation (ACT) nennt sich dieses Verfahren. Vereinfacht gesagt, wird dem Patienten dabei arthroskopisch Knorpelgewebe entnommen, das dann im spezialisierten Labor über einige Wochen „gezüchtet“ wird. Nach etwa vier Wochen wird der Knorpeldefekt dann operativ durch den eigenen, nachgezüchteten Knorpel ersetzt.

Und die beste Nachricht: „Beide Behandlungen bieten eine weitere Chance. In nur einem Eingriff können wir auch eine bestehende Fehlstellung der Beinachse – und damit eine mögliche Ursache für die Arthrose – korrigieren“, sagt Benker. Diese Therapien können einen künstlichen Gelenkersatz nicht nur hinauszögern, sondern im besten Fall sogar verhindern, so Benker und Schmolze. „Wir möchten, dass unsere Patientinnen und Patienten über einen möglichst langen Zeitraum schmerz- und beschwerdefrei leben. Die richtige Alternative finden wir als Team mit unseren Patienten gemeinsam.“

Technik, die tief blicken lässt: Neuer Arthroskopieturm für die Orthopädie

Die moderne Medizin macht es möglich: Viele Operationen an Schulter, Knie und Hüfte werden heute minimalinvasiv, das heißt mithilfe der sogenannten Schlüssellochtechnik, durchgeführt. Für Patientinnen und Patienten ist das die schonendste Methode. Kleine Schnitte heilen deutlich schneller, Patientinnen und Patienten sind deutlich schneller wieder fit. Für die Operateure spielt dabei neben dem Handwerk vor allem die technische Ausstattung eine wesentliche Rolle. Denn während der OP sehen sie ausschließlich über eine Kamera, was sie operieren. „An der Klinik Hohe Warte arbeiten wir auf dem modernsten Stand der Technik“, sagt Christian Benker. Dafür sorgt ein neuer Arthroskopieturm, den die Klinik gerade in Betrieb genommen hat. Der Turm liefert noch einmal deutlich hochauflösendere und damit genauere Bilder vom Operationsumfeld. „Je besser wir sehen, desto genauer und besser ist auch unsere Arbeit“, sagt Benker. wichtig. Der Schlüssel sind häufig Erinnerungen. In der Therapie versucht man daher gezielt, positiv besetzte Erinnerungen zu erhalten, um glückliche Momente zurückholen zu können.

MEHR INFOS:

Klinikum Bayreuth GmbH, Klinik für Orthopädie

Tel: 0921 400-4702, Fax: 0921 400-88 4702

E-Mail: orthopaedie@klinikum-bayreuth.de www.klinikum-bayreuth.de

37

Nicht immer gleich Heavy Metal

Wann muss eine Prothese sein? Experten der Klinikum Bayreuth GmbH geben Rat

Hüfte

Bei welchen Krankheitsbildern kommt eine Prothese in Betracht?

Bei Arthrose und auch bei Hüftkopfnekrosen – dabei stirbt der Hüftkopf ab, häufige Ursachen sind Alkoholmissbrauch, Rauchen und die Langzeiteinnahme von Kortison. „Bei bestimmten fortgeschrittenen rheumatischen Erkrankungen“, sagt Christian Benker, Oberarzt der Klinik für Orthopädie und Koordinator und Hauptoperateur des Endoprothetikzentrums an der Klinik Hohe Warte. Aber auch bei Brüchen des Schenkelhalses oder des Oberschenkelkopfs.

Wann ist es an der Zeit, zum Arzt zu gehen?

„Ganz einfach“, sagt Benker. „Wenn die Patientin oder der Patient Schmerzen hat.“ Muskuläre Ausfälle und Taubheitsgefühle sind ebenfalls

Anzeichen dafür, dass eine Abklärung notwendig ist. Für Ärztinnen und Ärzte, erklärt Benker weiter, gibt es noch weitere Warnsignale: „Wenn die Patientin oder der Patient Fieber hat, wenn Schwellungen oder Rötungen auftauchen, gestürzt ist oder wenn sie oder er einen Tumor hat, der möglicherweise an oder ins Gelenk gestreut haben könnte oder direkt dort sitzt, sind das für uns Alarmzeichen.“

Welche Alternativen zur Prothese gibt es?

„Entscheidend ist der Leidensdruck der Patientinnen und Patienten“, sagt Benker. „Wenn der Patient sagt, es geht noch, dann geht es meist

wirklich noch.“ Helfen können Gewichtsreduktion, um die Hüfte buchstäblich zu entlasten, die richtige Bewegung im richtigen Maß, Schmerzmittel und – für Benker besonders wichtig –Krankengymnastik. „Eine gute physiotherapeutische Betreuung kann eine Arthrose nicht wegzaubern. Aber er kann Schmerzen und Leiden lindern.“

Wenn der Arzt zur Prothese rät – welche Fragen sollten Patientinnen und Patienten stellen?

„Da fallen mir vor allem zwei ein“, sagt Benker. Muss es denn schon sein? Und: Was geht mit konservativen Behandlungsmethoden noch?

Wann sind eine Operation und eine Prothese unumgänglich?

„Das lässt sich nur für jede Patientin und jeden Patienten individuell sagen“, erklärt Benker. Fakt ist: Bei Tumoren, Infekten oder Frakturen werden die Defekte in der Hüfte immer größer, je länger man mit einer OP wartet. „Und je länger man wartet, desto größer wird das Risiko, das das Einsetzen von Prothesen problematisch wird.“ Auch zu bedenken: das Alter der Patientinnen und Patienten. Wie bei jeder Operation steigt auch hier das allgemeine Operationsrisiko mit dem Alter.

Eine gute physiotherapeutische Behandlung kann Arthrose nicht heilen, aber sie kann Schmerzen lindern und Patientinnen und Patienten damit wertvolle Zeit verschaffen.

GESUND LEBEN 38
KLINIKUM BAYREUTH GMBH > ORTHOPÄDIE
Fotos:
Schwerpunkt Bewegung
Autor: Klinikum Bayreuth GmbH
Shutterstock / Photographee.eu, DexonDee

Knie

Bei welchen Krankheitsbildern kommt eine Prothese in Betracht?

Nach einer Fraktur mit Gelenkbeteiligung, bei einer endgradigen Arthrose, oder auch bei rheumatischen gelenkzerstörenden Erkrankungen. „Und selbstverständlich bei zerstörenden (destruierenden) Prozessen im Knie, oder wenn sich Tumormetastasen gebildet haben“, rät Christian Benker, Oberarzt der Klinik für Orthopädie und Koordinator des Endoprothetikzentrums an der Klinik Hohe Warte. „Die Entscheidung triff aber letztendlich immer die Patientin oder der Patient.“

Wann ist es an der Zeit, zum Arzt zu gehen?

„Wenn Betroffene massive Schmerzen haben, sollten sie sich an eine Ärztin oder einen Arzt wenden.“, sagt Benker. Auch wenn das Knie anschwillt, heiß wird oder bei Fehlstellungen und Kontrakturen, die die Beweglichkeit des Knies einschränken, empfiehlt er eine Abklärung.

Welche Alternativen zur Prothese gibt es? Krankengymnastik und manuelle Medizin können Leiden lindern. Aber auch Schmerzmittel sind für Benker kein Tabu. „Fast alles, was hilft ist richtig.“ Das können auch Spritzen ins Knie sein. Am häufigsten wird Hyaluronsäure ins Knie gespritzt. „Das ist eine Art Schmiermittel.“ Möglich sind auch Injektionen mit Teilen des eigenen Blutes, mit Lokalanästhetika und mit Kortison. „Es gilt aber zu bedenken“, sagt Benker. „Eine Spritze ins Knie zu stechen, birgt immer ein Infektionsrisiko und die Studienlage zu Injektionen ist sehr umstritten.

Wenn der Arzt zur Prothese rät – welche Fragen sollten Betroffene stellen?

Muss es jetzt schon sein? Und muss es tatsächlich ein ganzes Knie sein? „Es mag vielleicht komisch klingen. Aber ja, es gibt auch ein halbes Knie“, sagt Benker. Statt eine komplette Prothese einzusetzen, ist es gegebenenfalls auch möglich, mit einer Schlittenprothese nur eine Rolle im Knie zu ersetzen. Eine weitere Frage, die Patienten stellen sollten: Gibt es eine Zwischenlösung?

„Wenn bei einer Kernspintomografie überschaubare Defekte am Knorpel sichtbar werden, sind Knorpelersatzverfahren eine Option.“ Dabei wird entweder der defekte Knorpel aus dem Knie entfernt, der Knochen angefrischt und der Körper damit angeregt, neuen Knorpel zu bilden.

Oder Ärzte entnehmen Knorpel aus dem Knie, der im Labor angezüchtet und danach wieder in passender Größe in das Knie eingebracht wird.

Übrigens: Auch wenn konservative Behandlungen ausscheiden und die Entscheidung für eine Prothese fällt, hat Benker einen Tipp. „Fragen Sie danach, ob es eine individuelle Lösung für Sie ganz persönlich gibt.“ Anhand von Aufnahmen aus dem Computertomografen stellen Experten patientenindividuelle Prothesen her. „Wie ein Maßanzug fürs Knie“, sagt Benker. Klar, dass individuelle Prothesen besser passen, dass damit auch der Knochenverlust verringert wird. Klar aber auch, dass sie teurer sind. „Die Ergebnisse dieser Prothesen sind sehr gut“, sagt Benker.

Wann sind eine Operation und eine Prothese unumgänglich?

Wenn der Leidensdruck zu groß wird“, sagt Benker. „Patientinnen und Patienten sollten auf ihren Bauch hören. Wenn der sagt, es ist an der Zeit, dann ist das ein klares Signal.“ Auch nach eitrigen Infektionen, die – zu spät erkannt und behandelt – das Gelenk zerstören können, braucht es meist einen künstlichen Gelenkersatz. Allerdings erst, wenn der Infekt sicher therapiert worden ist. Manche Knochentumore oder auch Tochtergeschwülste anderer Tumore können kniegelenksnah Gewebe oder das Gelenk selbst infiltrieren. Hier braucht es dann meist eine spezielle Tumorprothese.

Wenn eine Knieprothese im Raum steht, lohnt sich die Frage nach einer individuellen Lösung. "Das ist wie der Maßanzug fürs Knie", sagt der Orthopäde.

39

Gelenkersatz in der Schulter? Sind konservative Behandlungsalternativen ausgeschöpft, ist die Prothese der richtige Weg.

Schulter

Bei welchen Krankheitsbildern kommt eine Prothese in Betracht?

Der Klassiker ist die Arthrose. Nach und nach verschleißt der Knorpel im Schultergelenk und kann damit seine Funktion als Dämpfer nicht mehr erfüllen. „Oft entsteht dann ein Teufelskreislauf“, sagt Dr. Mark Schmolze, Oberarzt der Klinik für Orthopädie und Standortleiter im Endoprothetikzentrum an der Klinik Hohe Warte. Gelenkspalten verschmälern sich und es kommt zu Knochenanbauten im. „Um die Schmerzen zu lindern, nehmen Patientinnen und Patienten Schonhaltungen ein, es kommt zu Fehlbelastungen und diese begünstigen wiederum das Fortschreiten der Arthrose.“

Wann ist es an der Zeit zum Arzt gehen?

Betroffene haben Probleme beim Heben oder Abspreizen der Arme. „Bewegungen wie Haare waschen, Jacke oder Hose anzuziehen verursachen Schmerzen oder sind zumindest sehr unangenehm. Manche Bewegung macht die Schulter auch schlicht nicht mehr mit. „In diesen Fällen sollten Betroffene sich um einen Termin beim Facharzt bemühen“, rät Dr. Schmolze.

Welche Alternativen zur Prothese gibt es?

Konservative Behandlungsalternativen gibt es. Und diese sind umso erfolgsversprechender, je eher sie ansetzen. „Erfolg heißt dabei nicht Heilung“, stellt Dr. Schmolze klar. „Erfolg heißt, dass wir das Fortschreiten

der Arthrose verlangsamen, Beweglichkeit erhalten und Schmerzen lindern.“ Beginnen sollte es bei der Ernährung. „Weniger Kalorien, viel Gemüse, wenig Fleisch und viele gesunde Pflanzenöle“, bringt es Dr. Schmolze auf den Punkt. Das hilft auch beim Abnehmen. Denn Übergewicht schadet. „Fettgewebe enthält Entzündungsstoffe und diese beschleunigen die Arthrose“, erklärt Dr. Schmolze. Pflanzliche Präparate aus Brennnessel oder Teufelskralle können aber durchaus entzündungshemmend wirken und so die Therapie unterstützen.

Wenn der Arzt zur Prothese rät – welche Fragen sollten Patientinnen und Patienten stellen?

„Sind alle konservativen Möglichkeiten ausgeschöpft? Und: Ist die Prothese die einzige Alternative?“, sagt Dr. Schmolze. Es gibt auch operative noch Möglichkeiten, den Einsatz einer Prothese hinauszuzögern. Vor allem dann, wenn es sich um lokal begrenzte Defekte am Knorpel handelt. „Mithilfe einer flüssigen Kollagenmatrix kann ein Knorpel zum Teil repariert werden. Manchmal hilft es auch, den Knochen anzubohren: An der Stelle strömen Stammzellen aus und bilden Faserknorpel neu. Ob diese Alternativen in Frage kommen, kann der Facharzt anhand des Röntgenbilds beurteilen.“

Wenn nichts mehr geht, sollte die nächste Frage seiner Meinung nach lauten: Wie hoch ist der Leidensdruck?

„Patientinnen und Patienten, bei denen jede Bewegung schmerzt, die jeden Tag Schmerzmittel nehmen oder deren Schulter dauerhaft geschwollen und entzündet ist, haben ein Stadium erreicht, in dem ein künstliches Gelenk sinnvoll und angebracht ist. Und sie profitieren davon auch enorm: Sie können über Jahre schmerzfrei leben. Rund 20 Jahre kann ein künstliches Gelenk durchhalten. Danach muss es unter Umständen ersetzt werden. Ersatz ist dabei immer komplizierter als Ersteinbau – und auch risikobehafteter. „Daher versuchen wir insbesondere jüngeren Menschen ein künstliches Gelenk so lange wie möglich zu ersparen.“

40
Foto: Shutterstock / taniascamera Autor: Klinikum Bayreuth GmbH

Immer einen lockeren Spruch

Bestimmt sind Sie nach der Lektüre unseres Magazins so richtig motiviert, sich ab sofort mehr zu bewegen. Für den Fall, dass aber doch mal der innere Schweinehund aufjault, haben wir ein paar kluge Sätze für Sie ausgesucht.

Vogel fliegt.

Fisch schwimmt.

Mensch läuft.

Man kann den Weg weisen. Aber gehen musst

Du ihn selbst. BRUCE

Sport gibt Dir

das Gefühl, nackt besser auszusehen. Sekt auch.

UNBEKANNTER AUTOR

Das Leben besteht in der Bewegung. ARISTOTELES

Das Geheimnis des Erfolges ist anzufangen.

Wie langsam

Du auch läufst. Du schlägst alle, die zu Hause bleiben.

41
Schwerpunkt Bewegung Autor: Klinikum
GmbH GESUND LEBEN
Bayreuth
KLINIKUM BAYREUTH GMBH > MOTIVATION
ZATOPEK
EMIL
LEE
TWAIN
MARK
UNBEKANNTER AUTOR

Reizbestrahlung gegen Fersensporn und Gelenkschmerzen

Im Ambulanten Zentrum für Strahlentherapie geht es nicht nur um Krebsbehandlung

Strahlentherapie, das verbinden viele mit Krebsbehandlung. „Stimmt auch, aber Strahlentherapie kann auch anders“, sagt Privatdozent Dr. Jochen Willner. Er und Prof. Dr. Ludwig Keilholz sind Chefärzte der Klinik für Strahlentherapie der Klinikum Bayreuth GmbH und beide auch im Ambulanten Zentrum für Strahlentherapie tätig. Hier behandeln sie immer wieder auch Patientinnen und Patienten, die mit orthopädischen Problemen zu kämpfen haben.

Fersensporn, Tennisarm oder eine Arthrose, Schmerzen an der Patella- oder Achillessehne, die durch Überlastung entstehen, manchmal auch Erkrankungen der Wirbelsäule. „Bei vielen dieser Krankheitsbilder handelt es sich um entzündliche degenerative Erkrankungen. Eine niedrig dosierte Bestrahlung wirkt auf Vorgänge, die bei einer Entzündung im Körper entstehen, bremsend“, erklärt PD Dr. Willner. Insbesondere Prof. Keilholz habe auf diesem Gebiet viel geforscht und ist weltweit anerkann-

GESUND LEBEN 42 Autor: Klinikum
Foto:
Bayreuth GmbH
Klinikum Bayreuth GmbH
KLINIKUM BAYREUTH GMBH > AMBULANTEN ZENTRUM FÜR STRAHLENTHERAPIE
Schwerpunkt Bewegung
Die beiden Klinikdirektoren und Medizinphysiker Matthias Dierl (rechts) sorgen für eine schonende Behandlung.

ter Experte. „Dennoch ist diese therapeutische Möglichkeit vielen immer noch unbekannt“, sagt PD Dr. Willner.

Röntgenreizbestrahlung nennt sich das, was hier im Ambulanten Zentrum gemacht wird. „Im Klinikum Bayreuth verwenden wir dafür die neueste Generation von Linearbeschleunigern“, sagt der Klinikdirektor. Ein Behandlungszyklus umfasst in der Regel sechs Termine in zwei Wochen. Verwendet werden ionisierende Strahlen. Die Dosis, die bei einer Sitzung verabreicht wird, ist minimal, das zu bestrahlende Gebiet wird exakt eingegrenzt und andere Körperteile abgeschirmt. Eine Behandlung dauert nur wenige Sekunden, kann aber durchaus große Wirkung entfalten. „Wir machen damit sehr gute Erfahrungen.“ Viele Patienten leben in einem Teufelskreis: Die Entzündung verursacht Schmerzen, die Schmerzen führen zu Schonhaltungen und Fehlbelastungen und diese zu weiteren Schmerzen. „Diese Spirale können wir häufig durchbrechen. Nach der Therapie leben Viele über einen langen Zeitraum schmerzfrei“, bestätigt PD Dr. Willner.

Man sieht sie nicht, man spürt sie nicht und helfen tun sie doch

„Wir nehmen die Beratung auch hinsichtlich des Strahlenrisikos im Vorfeld daher sehr ernst.“ Vor allem bei jüngeren Patienten werden auch therapeutische Alternativen erwogen. Für die Behandlung brauchen Patienten eine Überweisung vom Haus- oder Facharzt, damit sie einen Termin im Ambulanten Zentrum für Strahlentherapie vereinbaren können.

Der Weg zu uns

PD Dr. Jochen Willner (oben) und Prof. Dr. Ludwig Keilholz sind Direktoren der Klinik für Strahlentherapie der Klinikum Bayreuth GmbH und auch im Ambulanten Zentrum für Strahlentherapie tätig.

Von der Behandlung selbst merkt der Patient nichts. Man sieht und spürt die Strahlen nicht. Und: Im Gegensatz zu Medikamenten ist die Therapie extrem nebenwirkungsarm. „Das einzige, was wir gelegentlich beobachten, ist ein „Aufbäumen“ der Schmerzen im Laufe der Behandlung. Das ist unangenehm, aber sogar ein gutes Zeichen. Es zeigt, dass der Körper auf die Therapie anspricht. Im Anschluss stellt sich meist schnell eine Besserung ein.“

Was PD Dr. Willner nicht wegdiskutieren will: Es ist und bleibt eine Bestrahlung.

Die Diagnosesicherung sollte im Vorfeld durch Hausoder Facharzt erfolgen. „Die kann beispielsweise ein Orthopäde im Ambulanten Zentrum für Orthopädie an der Klinik Hohe Warte stellen“, erklärt PD Dr. Willner. Liegt der Befund vor, kann der nächste Weg aber direkt zu ihm und seinen Kolleginnen und Kollegen führen. „Die Behandlung ist eine Kassenleistung. Patientinnen und Patienten müssen also keine Bedenken haben, dass zusätzliche Kosten auf sie zukommen.“

MEHR INFOS: Ambulantes Zentrum für Strahlentherapie am Klinikum Bayreuth , Tel: 0921 400-3610

E-Mail: strahlentherapiesekretariat@klinikum-bayreuth.de www.klinikum-bayreuth.de

43

Aktive Gelenke –jeden Tag

Das Nahrungsergängzungsmittel der OFRA-Pharm Bayreuth-Vital

Ein körperlich anstrengender Job, ungewohnte Bewegungen oder einfach nur tägliches, zu langes Sitzen: Jeden Tag werden unsere Gelenke beansprucht und stark belastet. Bei dauerhaft falschen Belastungen kann es früher oder später zu langfristigen Schäden an den Gelenken und unserem gesamten Bewegungsapparat kommen. Schmerzen und Einschränkungen sind dann die Folge.

Vorbeugend helfen kann, neben ausreichender und vor allem richtiger Bewegung sowie gesunder Ernährung, auch das Nahrungsergänzungsmittel „Gelenk Premium“ der OFRA-Pharm Bayreuth-Vital Gruppe. Die „Gelenk Premium“Kapseln enthalten die wichtigen Stoffe Glucosamin und Chondroitin – als Gelenk-Vitalstoffe aus natürlicher Herkunft – sowie Hyaluronsäure, weitere Spurenelemente und Vitamine.

Als zusätzliche Spurenelemente sind den Kapseln Selen und Mangan beigefügt. Mangan trägt unter anderem zur Erhaltung normaler Knochen bei. Selen hat eine antioxidative Wirkung, schützt beispielsweise Zellmembranen vor freien Radikalen und unterstützt allgemein das Immunsystem. Das beigesetzte Vitamin C unterstützt die Kollagenbildung für eine normale Funktion der Knochen und Knorpel. Die ebenfalls beigefügten Mikronährstoffe Vitamin B1, B2 und B6 runden das Nahrungsergängzungsmittel perfekt ab.

Regionale Produktion – per Hand

Die „Gelenk Premium“-Kapseln werden im Lohnauftrag der OFRA-Pharm Gruppe mit Sitz in Bayreuth bei der Firma Naturafit in Röttenbach (Landkreis Erlangen-Höchstadt) hergestellt. Die regionale Produktion des Produkts erfolgt dabei in der familiengeführten Manufaktur – vollkommen per Hand! Der Vorteil bei den handbefüllten Kapseln ist, dass außer den Inhaltsstoffen – und dem Kapselmaterial selbst – keine weiteren, unerwünschten Stoffe in das Produkt gelangen. Diese Reinheit des Produkts kann so nur bei der Handbefüllung gewährleistet werden – bei einer maschinellen Befüllung, wie es in groß aufgestellten Firmen üblich ist, müssen Rieselhilfen zugesetzt werden.

Aufgrund der tierischen Bestandteile ist das Produkt nicht vegan oder vegetarisch. Bitte beachten Sie auch den Allergiehinweis.

ERHÄLTLICH IST GELENK PREMIUM ÜBER: www.meineapo.express sowie in den Apotheken der OFRA-Pharm OHG in Bayreuth.

GESUND LEBEN 44 Autor: OFRA Pharm oHG Fotos: www.gmk.de
OFRA-PHARM OHG
„Wenn ich Knieprobleme bekomme, nehme ich die Gelenk Premium Kapseln selbst ein.“
DR. JENS LANDWEHR
Die „Gelenk Premium“-Kapseln werden bei der familiengeführten Manufaktur Naturafit in Röttenbach gefüllt – vollkommen per Hand!
Schwerpunkt Bewegung

Wir suchen dich!

Scharfes Auge? Ruhige Hand? Großes Herz?
 radiologieimduererhof
Bewirb dich jetzt!

Ein schwaches Herz braucht Bewegung

Warum Patientinnen und Patienten aus der Komfortzone heraus kommen sollten

Wer ein schwaches Herz hat, muss sich schonen. „Das hat vielleicht vor 30 Jahren mal gegolten“, sagt Prof. Dr. Christian Stumpf, Direktor der Klinik für Kardiologie an der Klinikum Bayreuth GmbH. Heute wissen wir: Gerade für Menschen, die eine akute Herzerkrankung hinter sich haben, ist Bewegung mit die beste Medizin. Denn Bewegung trainiert den Herzmuskel.

Den Herzmuskel stärken

Wer rastet, der rostet – und das können sich gerade Herzpatientinnen und -patienten nicht leisten. Denn das Herz ist ein Hochleistungsorgan. 100.000 mal am Tag schlägt es, pumpt 7.200

Liter Blut durch den Körper. Wenn der Herzmuskel aber irgendwann nachlässt, sinkt die Pumpleistung. Das kann lebensbedrohlich sein. Es schränkt aber in jedem Fall die Belastbarkeit und damit die Lebensqualität der Patientin oder des Patienten erheblich ein.

Um den Herzmuskel zu stärken, ist Bewegung ein gutes Mittel. „Selbstverständlich nicht während der akuten Behandlungsphase“, sagt Prof. Dr. Stumpf. Aber ein paar Wochen danach, wenn sich das Herz rekompensiert hat, ist der Zeitpunkt da, aus der Schonung rauszukommen. Man kann es professionell angehen und mit einem Pulsmesser in einer vorab definierten Belastungszone trainieren. „Das hat Vorteile“, sagt Prof. Dr. Stumpf. Weil ein Arzt eingebunden war, weil die Belastung gesteuert wird. Man kann aber durch-

aus auch dem eigenen Körper vertrauen. Der Kardiologe und Sportmediziner: „Wenn ehemalige Patientinnen oder Patienten sich während der Bewegung wohl fühlen, ist alles in Ordnung.“ Ehrgeiz ist da eher fehl am Platz. Wer mehr Spaß daran hat und sich sicherer fühlt, wenn er nicht allein Sport macht, ist bei den Koronarsportgruppen an der richtigen Adresse. Die gibt es auch in Bayreuth. Laufen, Radfahren, Schwimmen und Kraft-Ausdauertraining mit wenig Gewicht und vielen Wiederholungen sind die am besten geeigneten Sportarten.

Übrigens – weil Prof. Dr. Stumpf die Frage immer wieder gestellt wird: Ja, nach der akuten Phase einer Herzerkrankung und wenn die Medikation passt, kann man auch wieder in die Sauna gehen. Nicht in die ganz heiße. Aber 12 bis 14 Minuten und 60 Grad sollten drin sein. Auch da gilt, was bei der Bewegung zählt: Vorher mit dem Arzt reden.

MEHR INFOS: Klinik für Kardiologie, Angiologie und Internistische Intensivmedizin

Klinikum Bayreuth

Preuschwitzer Str. 101, 95445 Bayreuth

E-Mail: kardiologie@klinikum-bayreuth.de www.klinikum-bayreuth.de

GESUND LEBEN 46
forP . D.r C h r i s t i an Stumpfis torderKlinik für Kardiologieand kum Bay reu t h G m b H
Schwerpunkt Bewegung
Autor: Klinikum Bayreuth GmbH Fotos: Klinikum Bayreuth GmbH

KLINIKUM BAYREUTH GMBH > KLINIK FÜR KARDIOLOGIE, ANGIOLOGIE UND INTERNISTISCHE INTENSIVMEDIZIN

Was beim Sport nach einer COVIDInfektion wichtig ist

S

Auf den eigenen Körper zu hören, ist immer richtig

In diesem Fall gilt also: Nur wer wieder negativ und symptomfrei ist, sollte nach einer COVIDInfektion Sport treiben. Und er oder sie sollte langsam anfangen. „Beobachten Sie Ihren Körper“, rät Sportkardiologe Prof. Dr. Stumpf. „Wenn Sie sich beim Sport nicht wohl fühlen, wenn zum Beispiel Kurzatmigkeit oder Herzstolpern auftreten, lassen Sie sich durchchecken.“ Nicht nur ein EKG hält Prof. Dr. Stumpf dann für notwendig, sondern auch ein Ultraschall des Herzens.

port nach COVID? „Ja“, sagt Prof. Dr. Christian Stumpf, Sportkardiologe und Direktor der Klinik für Kardiologie, Angiologie und Internistische Intensivmedizin an der Klinikum Bayreuth GmbH. Aber bitte nicht gleich von null auf hundert.Wie genau sich das Coronavirus auf das Herz auswirkt, ist noch Gegenstand der Forschung. Covid-19 befällt nicht nur die Atemwege, sondern führt auch zu einer Entzündung der Blutgefäße, zu einer Endotheliitis, also einer Entzündung der Gefäßinnenwände. Das Endothel ist die innerste Wandschicht in den Gefäßen und regelt verschiedene Prozesse in den kleinen Gefäßen.

Ist dieser Regelungsprozess gestört, kann dies zum Beispiel Durchblutungsstörungen verursachen, die Herzmuskelgewebe absterben lassen und Organe wie das Herz schädigen. Direkt in das Herzmuskelgewebe dringt das Corona-Virus dagegen nur selten ein, kann aber dann zu einer Myokarditis führen. Der Heilungsprozess bei der Gefäßentzündung dauert länger als die eigentliche Viruserkrankung.

47 Schwerpunkt Bewegung
Autor: Klinikum Bayreuth GmbH GESUND LEBEN
Fotos: Unsplash / Bruno Nascimento Langsam wieder anfangen Nach einer COVID-Infektion sollte man langsam – Schritt für Schritt –mit dem Sport beginnen .

Bewegung für mehr Lebensfreude

Wie Sport auf die Psyche wirkt

Dass regelmäßige sportliche Betätigung uns vor vielen sogenannten Volkskrankheiten schützen und zu einem längeren und körperlich gesünderen Leben beitragen kann, ist heute unumstritten. Wie sieht es jedoch mit der Wirkung von Sport auf unsere Psyche aus?

Frank Orbach, Leiter der körper- und bewegungsorientierten Therapie am Bezirkskrankenhaus Bayreuth, berichtet zum einen von einer immer besser werdenden wissenschaftlichen Datenlage, die positive Wirkungen von Sport und Bewegung sowohl in der Prävention wie auch in der Therapie psychischer Erkrankungen belegt. Zum anderen sind einige dieser Wirkungen in der täglichen Arbeit mit den Patienten direkt erfahrbar. Sportliche Aktivität ist also auch zur psychischen Gesunderhaltung unbedingt zu empfehlen.

Gut zu wissen! Sport und Bewegung bauen Stresshormone ab, es gelangt mehr Sauerstoff in unsere Zellen, der Stoffwechsel kommt in Fahrt und gleichzeitig steigt die Produktion von Glückshormonen wie Endorphinen und Sorotonin.

Dagegen ist grundsätzlich nichts einzuwenden, solange das Ganze Spaß mache, sagt Orbach. Neu- und Wiedereinsteiger werden hier jedoch oftmals abgeschreckt, etwas auszuprobieren, da sie glauben, es nicht gut genug zu können.

Bewegung hilft der Psyche, gesund zu bleiben. Oder

Bewegung also. Eine „sinnvolle, reichhaltige und vor allem selbst gewählte“ Bewegungskultur in den Alltag zu integrieren, hilft auch der Psyche, gesund zu bleiben oder gesund zu werden, erklärt Orbach. Lust an Bewegung ist uns Menschen in die Wiege gelegt. Wenn wir uns ein Kleinkind vorstellen, das gerade gelernt hat zu krabbeln, dann wird deutlich, dass die Freude und Lust auf die Bewegung an sich bezogen sind, nicht darauf, schneller zu sein als das Nachbarkind.

Frank Orbachs erster Tipp vor allem für Nichtsportler: Ersetzen Sie den Begriff Sport durch den Begriff Bewegung. Der Begriff Sport ist in unserer Gesellschaft untrennbar mit Leistung und Wettbewerb verbunden. Möglichst schnell, möglichst gut, möglichst einen Pokal gewinnen.

Diese unmittelbare Freude lasse sich in uns Erwachsenen unter den richtigen Rahmenbedingungen reaktivieren. Dies sei ein Faktor, den man sich in der Therapie mit psychisch erkrankten Menschen zunutze mache, berichtet Orbach.

Folglich gibt es auch kein Bewegungs-Patentrezept für die Psyche. „Es ist weniger wichtig, welche Bewegungsform oder Sportart man wählt, als dass man überhaupt aktiv wird und regelmäßig dabei bleibt“, sagt Orbach. Jeder Mensch ist anders, daher sollte die Art der Aktivität zur

GESUND LEBEN 48
Autor: GeBO – Gesundheitseinrichtungen des Bezirks Oberfranken Foto: GeBo BEZIRKSKRANKENHAUS BAYREUTH > SPORT- UND BEWEGUNGSTHERAPIE
Schwerpunkt Bewegung
gesund zu werden.

Person passen. Der eine geht gerne allein im Wald laufen. Der andere braucht eine Mannschaft, um sich zu motivieren. Orbachs Tipp: „Probieren Sie aus, was Ihnen Freude bringt, was Ihnen beim Sich-Gut-Fühlen hilft.“ Der Leiter der Bewegungstherapie beobachtet, dass es den meisten Menschen hilft, Bewegung mit sozialen Kontakten zu koppeln. Eine WhatsApp der Walking-Gruppe oder ein „Kommst du heute zum Fußballtraining?“ helfe oft, den inneren Schweinehund zu besiegen.

Lust statt Leistung

In der Klinik können die Patienten im Rahmen ihrer Therapie verschiedene Bewegungsmöglichkeiten ausprobieren. Sie können Neues entdecken oder alte Leidenschaften für eine Sportart wieder aufleben lassen. Wichtig dabei sei, den Leistungsanspruch zu reduzieren, niederschwellig einzusteigen und die Vielfalt an Möglichkeiten zu entdecken. Dann könne auch schnell die Lust an Bewegung wieder entstehen.

Erstaunlicherweise, so Orbach, stellen sich erste Erfolge sehr schnell ein. „Eine allgemeine Aktivierung und oft auch eine kurzzeitige Verbesserung der Stimmung lässt sich in der

Bewegungstherapie meist schon früh erreichen. Die Lebendigkeit wird wieder aufgedeckt.“ Langfristig hängt ein Erfolg dann davon ab, inwieweit es gelingt, Strukturen für einen aktiveren Lebensalltag schaffen kann.

Professionelle Hilfe

Auch wenn zahlreiche positive Wirkungen von Sport und Bewegung auf die Psyche belegbar sind, warnt Orbach vor Vereinfachung und Übertreibung, wie sie oft verbreitet werden. Sport sei kein Allheilmittel und kann auch keine medikamentöse Therapie einfach ersetzen. Bei psychische Krisen ist es zunächst wichtig, sich in professionelle Hilfe zu begeben, sei es über den Hausarzt, Facharzt, Fachtherapeuten oder direkt über eine Fachklinik. Hier können dann mit dem Betroffenen zusammen die weiteren Schritte und Maßnahmen abgestimmt werden. Maßnahmen, die Bewegung einschließen …

MEHR INFOS:

Bezirkskrankenhaus Bayreuth

Nordring 2, 95445 Bayreuth

Telefon: (0921) 283-0

www.gebo-med.de

49
Frank Orbach ist Leiter der Sportund Bewegungstherapie am Bezirkskrankenhaus Bayreuth.

Dieser Weg wird kein leichter sein

Für Adipositaspatienten

Dass Bewegung und Sport für sie mal so wichtig werden würden, davon träumen die allermeisten Patientinnen und Patienten des Adipositaszentrums der Klinikum Bayreuth GmbH in der Klinik Hohe Warte zu Beginn ihrer Therapie nicht einmal. Aber so ist es. „Immer wieder erzählen uns Patientinnen und Patienten, die zur Nachsorge kommen, dass es für sie ohne Bewegung nicht mehr geht“, sagt Dr. Karin Hüttner, sie ist Ärztliche Leiterin des Adipositaszentrums.

Ein Training für alle, egal wie fit der Einzelne ist? Das gibt es am Bayreuther Adipostaszentrum nicht. „Unsere Bewegungstherapie ist immer patientenorientiert“, sagt Dr. Hüttner. Am Anfang sind es vielleicht zehn Minuten Gymnastik, sitzend auf einem Stuhl. Schritt für Schritt geht es weiter, Bewegung im Wasser, dann moderates Üben von Kraft und Ausdauer im Medizinischen Trainingsraum. Die Klinik Hohe Warte ist dafür bestens ausgestattet.

Die drei Säulen

Wer weg will vom krankhaften Übergewicht und von den damit verbundenen Folgererscheinungen, der kommt nicht an der Bewegung vorbei. Bewegung, Ernährung. Wenn das nicht ausreicht eine Operation: „Das sind die drei Säulen unserer Therapie“, sagt die Ärztliche Leiterin. „Und sie sind alle gleich wichtig.“ Denn mit einer Operation allein ist mittel- bis langfristig nicht

GESUND LEBEN 50 Schwerpunkt Bewegung
Autor: Klinikum Bayreuth GmbH Fotos: Klinikum Bayreuth GmbH
ist Bewegung erst Last – und dann Lust
KLINIKUM BAYREUTH GMBH > ADIPOSITASZENTRUM Bewegung im Wasser – zum Abnehmen ist das nahezu optimal.

viel gewonnen. Gegen Adipositas gewinnt nur, wer sein Leben dauerhaft verändert. Gesund ernähren und ausreichend bewegen gehören zu einer solchen Lebensveränderung.

Individuelle Methode

„Wenn der konservative Therapieversuch nicht geklappt haben sollte“, sagt Dr. Hüttner, „legen wir gemeinsam mit der Patientin oder dem Patienten die individuell passende Methode der Magenverkleinerung fest.“ Schlauchmagen, Magenbypass oder die Umwandlung, wenn bereits ein Magenband eingesetzt ist: So wie die gesamte interdisziplinäre und ganzheitliche Therapie des Zentrums erfolgen auch die chirurgischen Eingriffe nach den neusten und strengsten Qualitätsleitlinien. In den allermeisten Fällen operieren die Mediziner der Klinikum Bayreuth GmbH schonend mit Hilfe des Schlüssellochverfahrens. Für Adipositaspatienten ist gerade dies ein wichtiger Faktor, denn viele von ihnen haben mit Folgeerkrankungen zu kämpfen.

Bluthochdruck und Diabetes, Herzinfarkt oder Schlaganfall, offene Beine und Gelenk- oder Wirbelsäulenprobleme, Gicht, Gallenblasensteine oder Unfruchtbarkeit. All das können sehr ernste Begleiterscheinungen sein. „Für uns ist es schön zu sehen, wenn Patientinnen und Patienten nicht nur Gewicht verlieren, sondern auch von den Folgeerkrankungen genesen“, sagt Anastasia Muserowski, die als Koordinatorin alle organisatorischen Abläufe bis hin zur Kostenübernahme im Blick hat. Patientinnen und Patienten sollen sich so gut wie möglich auf die Therapie konzentrieren können.

Übrigens: Einmal Adipositaszentrum, immer Adipositaszentrum. Patientinnen und Patienten können sich ein Leben lang auf Unterstützung und Nachsorge verlassen. Denn: „Konservative Therapie oder Operation können nur unterstützen“, sagt Dr. Hüttner. „Wer erfolgreich sein will, braucht den festen Willen zur Veränderung.“

MEHR INFOS:

Klinikum Bayreuth GmbH, Adipositaszentrum

Klinik Hohe Warte, Hohe Warte 8, 95445 Bayreuth

E-Mail: adipositaszentrum@klinikum-bayreuth.de www.klinikum-bayreuth.de

51
Ein fester Wille
.rD niraK H ü t t n er i stÄ rztliche ndesAdipositaszentrumsander umBay reuth Gm b H
Wer weg will vom krankhaften Übergewicht und den damit verbundenen Folgeerscheinungen, kommt an Bewegung nicht vorbei.

Mein Bike und ich

Bikefitting beugt Fehlbelastungen vor und erhöht den Spaß am Radeln

Wenn am Wochenende die Sonne scheint, quellen nicht nur in der Nähe der Fußgängerzone und beliebter Biergärten die Fahrradständer über. Spätestens seit der großen E-Bike-Welle, die noch längst nicht ihren Höhepunkt erreicht hat, ist Fahrradfahren quer durch alle Altersstufen zu einem Volkssport und wichtigen Fortbewegungsmittel geworden. Unsere Städte werden immer fahrradfreundlicher, dank Radschnellwegen oder Kombitickets sind auch längere Strecken radelnd gut zu bewältigen. Lastenräder machen das Auto selbst bei Wocheneinkäufen für die ganze Familie überflüssig und das Urlaubs- und Freizeitangebot für Radfans überzeugt heute sogar eingefleischte Fußgänger. Dabei ist das Angebot an unterschiedlichen Fahrradtypen – seien sie elektrisch oder mit reiner Muskelkraft betrieben – schier unerschöpflich. Ob als Genussradler zur Erholung, als umweltbewusster Pendler, der bei Wind und Wetter mit seinem Fahrrad zur Arbeit fährt, oder als ambitionierter Freizeitsportler – das Fahrrad ist aus unserem Leben nicht weg zu denken.

Schmerzfreie, gesunde Bewegung wichtig

Umso wichtiger ist es, dafür zu sorgen, dass das Radeln nicht nur die Umwelt, sondern auch unseren Körper schont und somit dauerhaft Spaß macht. Nicht selten hört man von Fahrradfans Klagen wie: „Ich würde ja gerne mal wieder eine richtige Tour unternehmen, aber meine Knie spielen da nicht mit!“ Oder: „Wenn nur die eingeschlafenen Hände nicht wären …“ Oder, hinter vorgehaltener Hand: „Mein Allerwertester ist auf mein Fahrrad nicht gut zu sprechen.“ Diese bedauerlichen Irritationen in der Beziehung Mensch–Fahrrad sind weit verbreitet – aber vermeidbar. Denn neben der Auswahl

eines Rades mit der richtigen Rahmengröße im Fahrradladen ist die individuelle Anpassung an den Körper der Fahrerin oder des Fahrers der Kern einer glücklichen Beziehung.

Zwar hält der Markt geeignete Räder für alle möglichen Bedürfnisse und Ansprüche bereit, damit das Velo aber wirklich wie maßgeschneidert zum Fahrer oder zur Fahrerin passt, ist einiges zu beachten: Bikefitting – so der neudeutsche Fachbegriff für die Fahrradanpassung – stellt die Weichen für eine gesunde und schmerzfreie Bewegung mit dem Fahrrad. Das reha team Nordbayern hat hier mit Holger Thauwald einen versierten Experten an der Hand. Indem er die persönlichen körperlichen Voraussetzungen mit den Einstellungen und Maßen des Rades in Einklang bringt, sorgt Thauwald dafür, dass die eingesetzten Kräfte zielgerichtet übertragen werden und Radler und Fahrrad ein harmonisches Team bilden.

GESUND LEBEN 52
Schwerpunkt Bewegung
REHA TEAM NORDBAYERN

‹ Bikefitting stellt die Weichen für eine gesunde und schmerzfreie Bewegung mit dem Fahrrad.

mitgebracht werden. Für die Analyse wird das Fahrrad in einen Rollentrainer gespannt, und der Teilnehmer tritt einige Minuten in die Pedale. Dieses Auf-der-Stelle-Radeln wird von vier Seiten mit einer Kamera aufgezeichnet. Dabei spielt es für das Analyseverfahren keine Rolle, ob ein klassisches Fahrrad oder ein E-Bike verwendet wird.

Vom Freizeitradler bis zum Profi

Direkt nach der Videoaufzeichnung begutachtet der Physiotherapeut Holger Thauwald alle relevanten biomechanischen Werte, wie etwa Winkel und Druckpunkte, und erläutert die Ergebnisse. Kleine Änderungen am Rad wie Sitzhöhe oder Sattelstellung können gegebenenfalls sofort vor Ort beim reha team Nordbayern in Bayreuth vorgenommen werden, bei technischen Veränderungen am Bike werden Empfehlungen und Maße mitgegeben – zum Beispiel wenn eine andere Vorbaulänge nötig wäre.

Der richtige Sitz ist das A und O

Wichtig für Wohlbefinden und Leistung beim Radfahren sind vor allem eine optimale Sitzposition und Tritt-Technik. Der Sattel sollte immer gerade und nicht zu breit sein. Beim Heruntertreten sollte der Fuß nicht in die Überstreckung gehen. Im Rahmen des Bikefittings werden die Position, Haltung und der Bewegungsablauf analysiert. Dabei werden Fehlstellungen erkannt und korrigiert, Haltung und Sitzposition auf dem Rad optimiert. Denn: Wer ein falsch eingestelltes Fahrrad über einen längeren Zeitraum nutzt, nimmt gesundheitliche Folgen in Kauf!

Für die Anpassung, die etwa 45 Minuten in Anspruch nimmt, sollten neben dem eigenen Fahrrad eine Radhose und, falls spezielle Schuhe verwendet werden (Klickpedale), Radschuhe

Die Zeiten, in denen Bikefitting nur von Profisportlern genutzt wurde, sind lange vorbei. Die Verbesserung der Aerodynamik und ein Plus an Geschwindigkeit und Leistungsfähigkeit mit der individuell optimalen Position sind Aspekte, die für Gelegenheitsradler wie Freizeitsportler genauso gewinnbringend sind. Denn sie alle profitieren enorm von Komfortgewinn und Leistungssteigerung, vom Schutz vor Fehlbelastungen und damit vor Langzeitschäden. Sprich, auch der Hobby-Biker wird mit dem richtig eingestellten Fahrrad schneller unterwegs sein. Beeinträchtigungen wie Schulter- oder Nackenverspannungen bzw. Rückenschmerzen gehören dann der Vergangenheit an. Daneben ist natürlich für alle, die auf ein Fahrrad steigen, immer auch die Verletzungsprophylaxe ein wichtiger Gesichtspunkt bei der Fahrradeinstellung. Und: Mit einem biomechanisch perfekt angepassten Fahrrad macht das Radfahren einfach viel mehr Spaß!

MEHR INFOS:

reha team Nordbayern Gesundheitstechnik GmbH

Bereich: reha team Active, Leitung: Holger Thauwald

Am Bauhof 11, 95445 Bayreuth, Tel. (0921) 74743-38

www.rehateam-nordbayern.de

53
Autor: reha team Nordbayern Foto: Adobe Stock / logo3in1

Nordisches Gehen

Ein vielseitiger Sport und wirksame Reha-Therapie

Ursprünglich wurde Nordic Walking (Nordisches Gehen) als Sommer-Trainingsplan für Skilangläufer entwickelt. Dabei ist es nicht nur für Sportler geeignet. Die gleichmäßige, verletzungsarme Bewegung ist auch für untrainierte Menschen eine mit vielen Vorteilen behaftete Sportart. Anfangs wurden die „Steckenläufer“ oft belächelt. Hat man die richtige Technik jedoch

einmal erlernt, ist diese Ausdauersportart von großem Nutzen für unseren Körper. Und: Nordic Walking ist auch in der Rehabilitation eine wirksame Therapie. Die vielseitige Sportart steht auch auf den Therapieplänen der Patientinnen und Patienten des MEDICLIN Reha-Zentrums Roter Hügel. Speziell ausgebildete Therapeutinnen und Therapeuten leiten zum korrekten Bewegungsablauf an.

Nordic Walking – so geht's richtig!

Die Technik ähnelt der des Skilanglaufs: Beim Nordic Walking erfolgt die Bewegung diagonal, das heißt der rechte Stock wird mit dem rechten Arm immer dann aufgesetzt, wenn die linke Ferse aufsetzt. Die Stöcke werden nah am Körper geführt und jeweils schräg und flach nach hinten gehalten. Der Stockeinsatz sollte dabei immer unterhalb des Körperschwerpunktes, also in der Schrittstellung auf der vertikalen Körperachse erfolgen. Die Schultern sind locker und entspannt. Optimaler Weise drehen Schulter und Hüfte gegeneinander. Der Körper ist gestreckt und nicht nach vorne gelehnt.

Stocklänge = ca. 0,66 × Körpergröße

GESUND LEBEN 54
WALKING Schwerpunkt Bewegung
MEDICLIN > NORDIC
Autor: MEDICLIN Fotos: MEDICLIN

4

BEWEGUNG IN DER NATUR

Anders als im Fitnessstudio wird der Körper an der frischen Luft reichlich mit Sauerstoff versorgt. So wird das Immunsystem gestärkt. Die unterschiedlichen Terrains in der Natur bringen im Gegensatz zum Laufbandtraining Abwechslung. Die bewusste Wahrnehmung der Jahreszeiten stärkt alle Sinne gleichermaßen. Bewegung in der Natur macht glücklich und entspannt Seele und Gemüt.

STÄRKUNG HERZKREISLAUF-SYSTEM

Durch die Bewegung werden Lunge und Herz trainiert. Dadurch kann der Körper mehr Sauerstoff aufnehmen und in den Blutkreislauf transportieren. Eine gute Versorgung des Körpers mit Sauerstoff ist für den gesamten Organismus gut.

1 2 5 6

MOBILISATION DES KÖRPERS

3

FETTVERBRENNUNG

Anstrengung lässt die Pfunde purzeln. Beim Nordic Walking werden 90 % der Muskulatur beansprucht. Das kurbelt – bei regelmäßiger Durchführung –die Fettverbrennung an.

STRESSABBAU

Bei Stress werden hohe Mengen an Adrenalin, Noradrenalin und Cortisol ausgeschüttet. Diese Hormone befähigen unseren Körper kurzfristig zu Höchstleistungen. Langfristig sind diese Stresshormone aber schlecht für uns. Durch sportliche Bewegung nimmt unser Körper vermehrt Sauerstoff auf. Der Stoffwechsel wird aktiviert, die Ausschüttung der Stresshormone sinkt. Gleichzeitig steigt die Produktion von Glückshormonen, die die Stresshormone neutralisieren.

GELENKSCHONEND

Der Stockeinsatz reduziert die Belastung auf Knie-, Hüft- und Sprunggelenke. Da gleichzeitig die Muskeln, Knochen und Bänder gestärkt werden, kann Nordisches Gehen beispielsweise Begleitsymptome bei Arthrose vermindern.

Nordic Walking trainiert neben der Kondition auch die Bein-, Po- und Oberkörpermuskulatur. Zudem verbessert es die Beweglichkeit im Schulter- und Nackenbereich und fördert die Durchblutung.

MEHR INFOS:

MEDICLIN Reha-Zentrum Roter Hügel Jakob-Herz-Straße 1, 95445 Bayreuth www.reha-zentrum-roter-huegel.de

55
Di e sechsVorteiledesNordicWalking

Bewegung in der Gesundheitsregion Bayreuth

Die Gesundheitsregion Bayreuth aktiv in Stadt und Landkreis – das gilt nicht nur für körperliche Bewegung, sondern auch für Beratungsangebote und Ideen zu neuem Wohnen.

Wohnen & Quartier

Im Rahmen der Aktionswoche „Zu Hause daheim“ des Bayerischen Staatsministeriums für Familie, Arbeit und Soziales veranstaltete das Seniorenamt der Stadt Bayreuth am 5. Mai einen Nachmittag unter dem Motto „Wohnen & Quartier“. Erfahrene Fachleute sowie engagierte Bürgerinnen und Bürger gaben Impulse zum Thema, mit besonderem Fokus auf das Älterwerden und Ältersein. Sie stellten neue Formen selbstbestimmten Wohnens vor und kamen mit Aktiven aus Bayreuth, Bremen und München ins Gespräch.Die Beteiligung war rege: Über 100 Teilnehmende fanden den Weg ins ZENTRUM, tauschten sich dort aus und informierten sich auf dem „Markt der Möglichkeiten“ an unterschiedlichen Ständen. Begleitend zur Veranstaltung informierte die Ausstellung „Anders wohnen, besser leben“ des Forums Gemeinschaftliches Wohnen e.V. zum Thema. Ein erwünschter Nebeneffekt war der Austausch der „Standbetreiber“ untereinander. Vielleicht entstehen nun bald neue Quartiersprojekte? Potenzial ist jedenfalls reichlich vorhanden!

WEITERE INFOS PER E-MAIL: seniorenamt@stadt.bayreuth.de

Mitmachangebote Stadtteilgymnastik: Mach mit – Bleib fit Über das Seniorenpolitische Gesamtkonzept des Seniorenamts und des Seniorenbeirats der Stadt Bayreuth in Kooperation mit der Familienbildungsstätte sind Gymnastikangebote in verschiedenen Stadtteilen in Bayreuth entstanden. Das Mehrgenerationenhaus mit dem Storchencafé als offenem Treff in der Innenstadt machte diese innovativen Angebote möglich. Nun gibt es sechs unterschiedliche Gruppen, die sich wöchentlich – nicht während der Schulferien – in der Bürgerbegegnungsstätte, im Hammerstätter Hof, im Gemeindehaus der Erlöserkirche in der Altstadt, in St. Johannis, in der Katharina-von-Bora-Kirche in Meyernberg und neu, seit Mai, auch im Stadtteil Saas im Gemeindehaus gegenüber der Kirche treffen. Unter Anleitung werden leichte Gymnastikübungen im Sitzen oder Stehen gezeigt, die auch ganz einfach zu Hause durchführbar sind. So werden Koordination, Kraft und Beweglichkeit erhalten und gefördert. Um Anmeldung wird gebeten – keine Gebühr, Spende erbeten.

WEITERE INFORMATIONEN: www.fbs.bayreuth.org

Jahresschwerpunktthema des StMGP:

„Hand aufs Herz“

Bewegung ist in jedem Alter von großer Bedeutung. Sie wirkt präventiv für viele Erkrankungen wie z.B. Adipositas und Herz-Kreislauf-Erkrankungen. Aus diesem Grund wird die Gesundheitsregionplus zusammen mit dem Fachdienst Prävention und Gesundheitsförderung (FPG) des Landratsamtes Bayreuth - Gesundheitsamt im Aktionszeitraum Juli bis September 2022 einige Aktionen rund um das Thema Herz und Bewegung veranstalten.

‹ Dr. Klaus von Stetten (Leiter des Gesundheitsamts Bayreuth, Katrin Kürzdörfer (Geschäftsstellenleitung Gesundheitsregionplus Stadt und Landkreis Bayreuth) und Thomas Helminger (Leitung Fachdienst Prävention und Gesundheitsförderung (FPG) im Gesundheitsamt Bayreuth) präsentieren die Plakatmotive der StMGP-Kampagne „Hand aufs Herz“.

WEITERE INFORMATIONEN: www.handaufsherz.bayern

GESUND LEBEN 56
GESUNDHEITSREGION
BAYREUTH
Autor: Gesundheitsregion Bayreuth Foto: Pressestelle / Landratsamt Bayreuth
Schwerpunkt Bewegung

Entdecken Sie das Klangwunder

«Die Stimme meiner Lieblingssängerin – ein Klangwunder und mein persönliches Paradies»

So klingt das Paradies –

Phonak Audéo™ Paradise

Phonak Paradise mit unvergleichbarer Klangqualität. Entdecken Sie das Wunder der Klänge.

Frischer natürlicher Klang, Brillantes Sprachverstehen, Personalisierte Störgeräuschunterdrückung.

Michael Hörakustik-Meister und Geschäftsführer Akustiks Hörgeräte
jetzt testen bei Akustiks Hörgeräte Akustiks Hörgeräte GmbH Badstraße 8 95444 Bayreuth Telefon: 0921 / 51 55 88 E-Mail: info@akustiks.de www.akustiks.de

Bewegung spielerisch trainieren

Regelmäßige Bewegung ist eine der wirksamsten Maßnahmen zur Erhaltung unserer Gesundheit. Ist unser Körper erst einmal aus der Balance, sollte Bewegung schrittweise und mit professioneller Hilfe neu aufgebaut werden. Das MEDICLIN RehaZentrum Roter Hügel verfügt über spezielle Hilfsmittel.

GESUND LEBEN 58 Schwerpunkt Bewegung Autor: MEDICLIN Fotos: MEDICLIN
MEDICLIN > ROBOTISCHE UNTERSTÜTZUNG ˇ Der Hunova hält mehr als 200 Übungen bereit

Bewegung erfordert Gleichgewicht, Muskelkraft und motorische Kontrolle. „Je stabiler der Rumpf ist, desto mobiler sind die Extremitäten, also Arme und Beine, was für ein Wiedererlernen des natürlichen Bewegungsmusters Gehen wichtig ist“, erklärt Ilona Thomschke, Therapieleitung im MEDICLIN

Reha-Zentrum Roter Hügel.

Bewegung trainiert nicht nur die Muskulatur

Liegt eine Erkrankung vor, durch die unsere Bewegung eingeschränkt oder außer Kontrolle ist, muss richtige Bewegung erst wieder erlernt werden. Das kann durch eine orthopädische Erkrankung, wie etwa einen Bandscheibenvorfall, der Fall sein, aber auch durch neurologische Erkrankungen, wie beispielsweise nach einem Schlaganfall. Fest steht: Bewegung hilft sowohl zur Stärkung entscheidender

Muskelgruppen und Mobilisierung als auch zur Verbesserung kognitiver Defizite. Bewegung hält den Körper „am Laufen“ und trainiert nicht nur die Muskulatur. Studien zeigen, dass sich bei Menschen, die Körper und Geist gleichzeitig trainieren, kognitive Leistungen verbessern können. Um das in Einklang zu bringen, hilft modernste Technik.

Bei einer Rehabilitation im MEDICLIN RehaZentrum Roter Hügel trainieren die Patientinnen und Patienten auf vielfältige Weise. Qualifizierte Therapeutinnen und Therapeuten stehen ihnen dabei zur Seite. Unterstützt werden sie unter anderem durch das GleichgewichtsRehabilitationssystem Hunova. „Motivation ist die Grundlage für den Therapieerfolg“, weiß Ilona Thomschke, Therapieleitung im Reha-Zentrum Roter Hügel. Um die Motivation über einen längeren Zeitraum noch zu steigern, schaffen unsere computergestützten Geräte mit spielerischen Therapieprogrammen weitere Anreize.“

Das Zusammenspiel erhöht die Wirksamkeit

Hunova ist ein robotisches Trainingsgerät, das zur objektiven Bewertung der Rehabilitationsbehandlung entwickelt wurde und Ärzte, Physiotherapeuten und Patienten während des

gesamten Behandlungs- und Genesungsverlaufs unterstützt. Die Sitz- und Fußplatte vermittelt ein- und mehrdimensionale Bewegungen. Die Visualisierung erfolgt auf dem Bildschirm und hilft dabei, die Bewegung korrekt auszuführen.

Beispielsweise wird auf dem Monitor ein Baum mit Äpfeln gezeigt. Durch Gewichtsverlagerung des Rumpfes und der Beine können die Patientinnen und Patienten einen Korb auf dem Bildschirm bewegen, der die Äpfel auffängt. Ein am Körper angelegter Sensor kommuniziert mit dem Gerät. Die Therapeutinnen und Therapeuten erhalten über das Gerät ausgewertete Protokolle, mit denen sich der Fortschritt, aber auch die Defizite messen lassen. „Man kann sich das im Prinzip vorstellen, wie bei den bekannten Spielekonsolen zu Hause“, erklärt Thomschke.

Das Zusammenspiel von herkömmlicher Physiotherapie und Robotik ist für die Bewegungstherapie ein Fortschritt, der die Wirksamkeit der Therapie nochmals erhöht.

59
MEHR INFOS: www.mediclin.de khcsmohTan e i s t T h era pieleitung ICLINReha-Zentrum
RoterHügel
„Man kann sich das im Prinzip vorstellen, wie bei den bekannten Spielekonsolen.“
ILONA THOMSCHKE

Lernen Sie tanzen

Zwei Zitate schickt Dr. Christian Mauerer voraus. Eins von Konrad Adenauer, dem ersten Bundeskanzler Deutschlands nach dem Zweiten Weltkrieg: „Man darf niemals sagen, es ist zu spät. Es ist immer Zeit für einen neuen Anfang.“ Das andere von der Heiligen Teresa von Ávila: „Tu deinem Leib Gutes, damit deine Seele Lust hat, darin zu wohnen.“

Beide Zitate zeigen, was Mauerer wichtig ist. Der Leiter des Gerontozentrums am Bezirkskrankenhaus Bayreuth weiß, wie wichtig körperliches Wohlbefinden auch für das Gehirn ist. Wer seinen Geist fit halten will, muss auch seinen Körper bewegen, dem Körper also Gutes tun. Und damit sollte man am besten heute anfangen. Egal wie alt man inzwischen ist.

Heute anfangen

Viel Bewegung, gesunde Ernährung, wenig Stress, immer neue Anreize für die Gehirnzellen – mit dieser Mischung kann man heute noch beginnen, einer Demenz entgegenzuwirken, sagt Mauerer. Zu etwa 30 Prozent hat es jeder Mensch durch seine Lebensführung selbst in der Hand, im Alter gesund zu bleiben. „Ändern Sie Ihre Lebensführung“, rät Mauerer. Treppe statt Aufzug, Rad statt Bus, wenig Alkohol, gesundes Essen. „Jeder von uns kann heute damit beginnen.“

Neues lernen

Nicht nur den Körper gilt es zu bewegen, auch den Geist, soll dieser möglichst lange fit bleiben. Neugierig aufs Leben sein, sagt Mauerer, helfe schon sehr, wenn es darum gehe, den Geist auch im Alter fit zu halten. Er rät älteren Menschen, sich ein neues Hobby zu suchen. Eine Sprache zu lernen oder tanzen zu gehen. Oder zumindest, ein altes Hobby zu reaktivieren. Es gehe darum, Neues zu lernen, wenn man geistig in Bewegung

GESUND LEBEN 60
Wie man auch geistig beweglich bleibt
Schwerpunkt Bewegung

bleiben will. Das wiederum spricht gegen das Lösen von Kreuzworträtseln. Hier wird nur altes Wissen abgefragt – „und irgendwann weiß man dann auch, was bei Schweizer Kanton mit drei Buchstaben hingehört“. Kein Reaktivieren von alten Begriffen also, sondern lieber Neues lernen. Oder Sudoku lösen. Zu einem geistig fitten Kopf gehört auch die richtige Ernährung, vor allem ausreichend zu trinken sei sehr wichtig.

Ob Kopf oder Körper, „Bewegung ist Therapeutikum und Lebensqualität“. Frische Luft, Sonne, Bewegung – diese Mischung ist laut Mauerer das beste und ein kostenloses Therapeutikum bei schlechter Stimmung und Unruhe.

Damit auch der Kopf fit bleibt …

• regelmäßig bewegen

• Bewegung in den Alltag einbauen (Stichwort: Treppe statt Lift)

• überlegen, welcher Sport früher Spaß gemacht hat und diesen aufleben lassen

• zusätzlich Kraft und Balance trainieren (gut hier: klettern gehen)

• aufs E-Bike steigen, wenn das Rad ohne Antrieb zu beschwerlich ist

• Gartenarbeit hilft auch für die geistige Fitness

MEHR INFOS:

Bezirkskrankenhaus Bayreuth

Gerontopsychiatrie

Nordring 2, 95445 Bayreuth

Telefon: (0921) 283-0

www.gebo-med.de

61
Autor: GeBO – Gesundheitseinrichtungen des Bezirks Oberfranken Foto: GeBo, Shutterstock / alla_line
.rD sirhC t ai n M a uerer istLeite ontozentrums am Bezirkskranken ayreuth.

DER GEWINN

Rätselzeit

Rätselzeit

Wir verlosen unter allen richtigen Einsendungen: 2× drei Monate Probetraining im wellundfit Fitnessclub in Bayreuth im Wert von je 90 Euro

männl. Vorname Bedrängnis Zeitabschnitt

bitterer Spott Witwe bei „Max und Moritz“

frz. Märchenritter

Währung in Sierra Leone

lautm. für den Schluckauf (ugs.)

ElbeZufluss

Stadt mit dem Schiefen Turm

Luft holen

engl.: schließen Kopf

abwaschen

Steuerung, Dirigismus glatt ein Ganzkörpertraining großes Gewässer erlernte Arbeit, Erwerbstätigkeit

Küchengerät

Name e. europ. Trägerrakete

Erhebung im Gelände

Schauspieler (Johnny) 6 9 11

Monogamie

Wachszellenbau der Biene

GESUND LEBEN 62

lat. Name Polens eine der Gezeiten 3 13

4 2

Ballspiel ugs.: Leim ugs.: Verstand

Stück für drei Instrumente

italienisches Hefegebäck

Ureinwohner Italiens Klang, Ton Stauwerk

Hauptstadt d. Steiermark

Miträtseln und gewinnen!

kleiner Junge (Kosewort)

indische Entspannungsübungen

Bitte senden Sie das Lösungswort mit Angabe der persönlichen Daten per E-Mail an raetselzeit@gmk.de, Betreff „Rätselzeit“ oder per Post an GMK GmbH & Co. KG, „GESUND LEBEN“, Kanzleistr. 3, 95444 Bayreuth.

Die Angaben dienen ausschließlich der Übersendung des Gewinns und werden anschließend gelöscht. Der Rechtsweg ist ausgeschlossen. Eine Barauszahlung ist nicht möglich. Teilnahmeberechtigt sind Personen ab 18 Jahren.

hinweisen

veraltet: frei, offen

erste zweistellige Zahl

bitterkalt Bitte um Auskunft Bienenzucht

3. Fall der Deklination heftiger Fall

an jenem Ort

Ortsbestimmung Gewürz

14

7 8

10 15 12

Staat in Westafrika

Blutader

5

vitaminreiche, saure Frucht Facharzt

Niederschlag

1 4 – kanzlit.de

DANKE AN UNSEREN SPONSOR!

®

Beispiel Bosheit Zarenname
jemand, der Eigentum stiehlt amerik.
Vorhaben, Absicht 15 14 13 12 11 10 9 8 7 6 5 4 3 2 1
Einsendeschluss: 30. Juni 2022.
Starke Marken • Starke Preise Marken günstiger* bis zu Mehr * als der UVP 70% ALLES UNTER EINEM DACH. www.bindlach-outlet.de Kostenlose Parkplätze, Muster- und Aktionsverkäufe A9 Ausfahrt Bayreuth-Nord, direkt am Bahnhof Bindlach, Stöckigstr. 2 Mo. – Fr. 10 – 18 Uhr | Sa. 10 – 14 Uhr

Kompetent, professionell und regional

Gemeinsam und spezialisiert für unsere Patienten

Zum Erhalt der Mobilität in jedem Lebensalter ist die Orthopädie ein nicht wegzudenkendes medizinisches Fachgebiet. Vertrauen Sie daher der langjährigen Erfahrung unseres Ärzteteams für die bestmögliche Wiederherstellung bei einer geschädigten Gelenkfunktion. Neben einer umfassenden, verständlichen Aufklärung in all unseren Praxen bieten wir Ihnen in der Klinik Münchberg ebenfalls die Möglichkeit, ambulante und stationäre Operationen durchführen zu lassen. Bei allen Fragen rund ums Gelenk stehen Ihnen die Spezialisten vom Zentrum für Orthopädie und Neurochirurgie stets zur Seite!

09281 / 90 98

Praxisfiliale in der Klinik Münchberg Hofer Str. 40 95213 Münchberg Tel.: 09251 / 60 63 99 9

Zentrum
Eppenreuther
Tel.:
Praxisfiliale in Naila Kronacher Str. 33 95119 Naila Tel.:
51 60
für Orthopädie und Neurochirurgie Hof
Str. 28 95032 Hof
09282 / 9
www.orthopaedie-bt.de Zentrum
und Neurochirurgie Bayreuth Romanstr. 12 95444 Bayreuth Tel.: 0921
51 20
Orthopädie
Schmerz Hüfte
für Orthopädie
/
11 Knie Fuß
Schulter Wirbelsäule

Turn static files into dynamic content formats.

Create a flipbook
Issuu converts static files into: digital portfolios, online yearbooks, online catalogs, digital photo albums and more. Sign up and create your flipbook.