HospiMedica International November 2025

Page 1


Carolyn.Moody@globetech.net Tel: (1) 954-686-0838

Joffre.Lores@globetech.net Tel: (1) 954-686-0838

GERMANY, SWITZ., AUSTRIA Bad Neustadt, Germany

Simone.Ciolek@globetech.net Tel: (49) 9771-1779-007

BENELUX, FRANCE Hasselt, Belgium

Nadia.Liefsoens@globetech.net Tel: (32) 11-22-4397 JAPAN Tokyo, Japan

Katsuhiro.Ishii@globetech.net Tel: (81) 3-5691-3335 CHINA Shenzhen, Guangdong, China

HospiMedicaYEARBOOK is circuIated worldwide (outside the USA and Canada), without charge and by written request, to medical department chiefs and senior medical specialists related to critical care, surgical techniques and other hospital-based specialties; hospital directors/administrators; and major distributors/dealers or others allied to the field.

To all others: Paid Subscription is available for a twoyear subscription charge of US$ 40. Single copy price is US$ 20. Mail your paid subscription order accompanied with payment to Globetech Media, LLC, P.O.B. 800222, Miami, FL 33280-0222, USA.

For change of address or questions on your subscription, write to: HospiMedica lnternational, Circulation Services at above address or visit: www.LinkXpress.com

Vol.43 No.1 • Published, under license, by Globetech Media LLC Copyright © 2025. All rights reserved. Reproduction in any form is forbidden without express permission. Teknopress Yayıncılık ve Ticaret Ltd. Şti. adına İmtiyaz Sahibi: M. Geren • Yazı işleri Müdürü: Ersin Köklü Müşir Derviş İbrahim Sok. 5/4, Esentepe, 34394 Şişli, İstanbul P. K. 1, AVPIM, 34001 İstanbul • E-mail: Teknopress@yahoo.com Baskı: Postkom A.Ş. • İpkas Sanayi

POINT OF CARE TESTING

Candida auris Rapid Test

The Vivalytic Candida auris test is an automated, qualitative in vitro diagnostic employing real-time PCR to detect Candida auris DNA from swabs taken from the human axilla, groin, and nasal areas.

Quick turnaround time of less than 1 hour, beneficial for both the patient and for the containment of Candida auris and reducing transmission.

Convenient 4 step process from sample entry to results. Suitable for use in laboratory and non-laboratory settings.

Real-time PCR enables rapid and targeted detection up to 4 weeks after the onset of symptoms of the multidrug-resistant fungal Candida auris

Detection Method: Real-Time PCR DETECTABLE PATHOGEN Candida auris (ITS2 Gene)

Result Time: 52 minutes

Sample Volume: 300µl

Sample Type: Swab (Copan Amies) CE Marked

Visit store.randox.com to buy directly

RADIOLOGY / CT

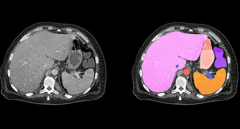
AI-Powered Abdomen Map Enables Early Cancer Detection

Ateamof researchers from around the globe, led by Johns Hopkins University (Baltimore, MD, USA; www.jhu.edu), has harnessed AI to create the most extensive and comprehensive dataset of abdominal organs to date, designed to help radiologists quickly and accurately identify tumors and other medical conditions. AbdomenAtlas, which is the largest abdominal CT dataset available, also provides a valuable benchmark that allows other research groups to test the accuracy of their medical segmentation algorithms.

Super-Resolution Technology Predicts Osteoporotic Fracture Risk

Researchers at Southwest Research Institute (SwRI, San Antonio, TX, USA; www. swri.org) have developed a new technology that improves clinical bone imaging and reduces osteoporotic fractures in the elderly. The technology uses artificial intelligence (AI) to generate super-resolution images that reveal the inner structures of bones in greater detail, helping to better assess fracture risk.

Mobile Whole-Body CT Scanner to Provide POC Diagnostics

Micro-X (Adelaide, Australia; www. micro-x.com) is pioneering the world’s first mobile CT scanner, utilizing its compact but powerful Nano Electronic X-ray (NEX) Technology X-ray tubes. This innovation aims to produce a full-body CT system weighing just 225 kilograms, a stark contrast to traditional CT machines that weigh over 2000 kilograms.

PACT System Provides Real-Time Stroke Monitoring

Aresearch team from Pohang University of Science and Technology (POSTECH,

For more information on news developments listed below, logon to www.medimaging.net and type appropriate keyword(s) into search engine to access full story from news archive

Pohang, South Korea; www.postech.ac.kr) has created a photoacoustic computed tomography (PACT) system that combines light and sound to monitor strokes in real-time. The new PACT system demonstrated the ability to effectively track the vascular recovery process following a stroke.

CT-Based Indicator Predicts Postpartum Bleeding Cases

Researchers at Kumamoto University (Kumamoto, Japan; www.kumamoto-u.ac.jp) have identified a new CT-based indicator that can predict high-risk cases of postpartum hemorrhage (PPH) with remarkable accuracy. This distinctive imaging marker called PRACE, is characterized by a contrast agent leaking into the uterine cavity during the early phase of imaging, indicating active arterial bleeding that may not respond to conventional therapies.

Photon Counting Detectors Promise Fast Color X-Ray Images

Researchers from the University of Houston (Houston, TX, USA; www.uh.edu) have developed a 3D technology that promises to transform medical imaging, providing a faster, more accurate, and more affordable alternative to conventional diagnostic methods. They demonstrated how photon-counting detectors combined with innovative algorithms enable more precise 3D visualization of various tissues and contrast agents.

AI Radiology Tool Identifies Life-Threatening Conditions in Milliseconds

Researchers at Northwestern University (Evanston, IL, USA; www.northwestern. edu) have developed the first generative artificial intelligence (AI) system tailored for radiology, aiming to dramatically enhance productivity, accuracy, and speed. Unlike existing AI tools that focus on detecting a single condition, this comprehensive model analyzes

full X-rays or CT scans and automatically drafts 95% complete, patient-specific reports.

Diamond Radiation Detector Opens New Diagnostic Imaging Possibilities

Orbray Co., Ltd. (Tokyo, Japan; www.orbray. com) has developed a cutting-edge radiation detector based on its proprietary high-quality, large-diameter single-crystal diamond technology. The unique physical properties of diamonds, including their radiation resistance, allow Orbray’s diamond detectors to perform effectively in high-radiation environments where traditional detectors would deteriorate.

Higher Chest X-Ray Usage Catches Lung Cancer Earlier

Agroundbreaking study by researchers from the University of Sheffield (Sheffield, UK; www.sheffield.ac.uk) has revealed a strong connection between the frequency of chest X-ray referrals by GPs and earlier diagnoses, as well as improved survival rates for lung cancer patients. This study is the first of its kind to link chest X-ray referral rates with national cancer registry data, highlighting the significant impact of early diagnosis on survival.

Wearable X-Ray Imaging Fabric to Provide On-The-Go Scanning

Researchers at Hong Kong Polytechnic University (Hong Kong, China; www.polyu. edu.hk) have developed a new flexible inorganic fiber-based scintillator fabric for potential application in wearable X-ray imaging for medical diagnostics. This innovative, flexible scintillator fabric, known as “metafabric,” retains the high performance of traditional inorganic scintillators while being flexible and wearable.

New Scanner Sees ‘Previously Undetectable’ Cancer Spread

Agroundbreaking new MRI technology, Field-Cycling Imaging (FCI), could revolutionize the diagnosis and treatment of breast cancer, potentially reducing the need for repeat surgeries and providing more personalized treatment plans. Scientists at the University of Aberdeen (Aberdeen, Scotland; www.abdn.ac.uk) utilized a prototype of an FCI scanner to analyze the breast tissue of patients recently diagnosed with cancer. They found that the FCI scanner could differentiate

Image: Two abdominal CT scan slices, standard on the left and AbdomenAtlas’ organ segmentation on the right (Photo courtesy of Johns Hopkins University)
Image: Phase contrast and color X-ray imaging system used in the research (Photo courtesy of University of Houston)

tumor tissue from healthy tissue with greater accuracy than current MRI methods.

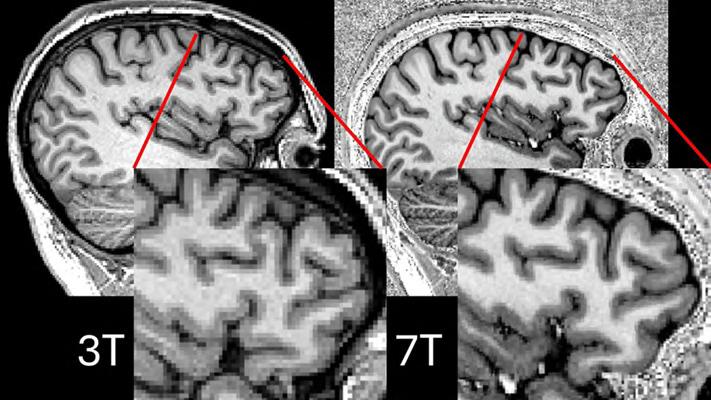
Ultra-Powerful MRI Scans Enable Life-Changing Epileptic Surgery

Image: Comparison showing 3T and 7T scans for the same participant (Photo courtesy of P Simon Jones/University of Cambridge)

Researchers from the University of Cambridge’s Wolfson Brain Imaging Centre (Cambridge, UK; www.wbic.cam.

MRI Technique Reveals Hidden Heart Issues

Researchers at the University of Texas at Arlington (UTA, Arlington, TX, USA; www. uta.edu) have introduced a new technology that provides a more accurate picture of heart function during exercise stress tests conducted within an MRI machine. Additionally, the researchers have developed a novel MRI technique to measure venous oxygen levels without the need for an invasive catheter.

Image: A new medical ultrasound imaging technique for bedside monitoring could lead to improved patient care (photo courtesy of Jennifer Mueller/CSU)

Ultrasound Imaging Technique Enables ICU Bedside Monitoring

Scientists from Colorado State University (CSU, Fort Collins, CO, USA; www.

colostate.edu) and the University of São Paulo (São Paulo, Brazil; www.5.usp.br) are working on a bedside-compatible ultrasound computed tomography imaging system. This would enable quicker diagnosis and treatment of critical conditions without subjecting patients to harmful radiation.

MRI to Replace Painful Spinal Tap for Faster MS Diagnosis

Researchers from the University of Nottingham (Nottingham, UK; www.nottingham.ac.uk) have discovered that a new MRI scan method could diagnose multiple sclerosis (MS) in just 8 minutes. This breakthrough offers a more scientific, safer, cost-effective, and patient-friendly approach to diagnosing MS, eliminating the need for a painful lumbar puncture.

SOMETHING BIG IS COMING —

Ultrasound Imaging Tracks Tumor Response to Radiation and Immunotherapy

Image: Ultrasound detection of vascular changes post-RT corresponds to shifts in the immune microenvironment (Photo courtesy of Theranostics, DOI:10.7150/thno.97759)

An interdisciplinary research team from Vanderbilt University (Nashville, TN, USA; www.vanderbilt.edu) has developed an innovative method using ultrafast power Doppler ultrasound to monitor tumor vasculature in real-time in two breast cancer models—metastatic and non-metastatic. By tracking changes in blood vessel networks, the researchers can now gain unprecedented insights into how tumors respond to radiation therapy.

High Resolution Ultrasound Speeds Up Prostate Cancer Diagnosis

An international clinical trial has demonstrated that biopsies guided by high-resolution ultrasound are just as effective as those using MRI for diagnosing prostate cancer. Known as micro-ultrasound, this technology is less expensive and easier to use compared to MRI. It could greatly accelerate diagnosis, reduce the need for multiple hospital visits, and free up MRI resources for other purposes, as per the findings of the trial led by researchers at the University of Toronto (Toronto, ON, Canada; www.utoronto.ca).

Pain-Free Breast Imaging System Performs One Minute Cancer Scan

Image: The automated breast scan takes less than a minute and produces AI-powered, clear 3D images (Photo courtesy of University at Buffalo)

Researchers at the University at Buffalo (Buffalo, NY, USA; www. buffalo.edu) have developed a pain-free imaging system that combines photoacoustic imaging and ultrasound to deliver clearer and more accurate 3D images of breast cancer, thus significantly improving early diagnosis and reducing false positives. The OneTouch-PAT pain-free breast imaging system combines photoacoustic imaging, which uses laser pulses to detect blood vessel growth in tumors, with ultrasound imaging, which identifies suspicious lesions.

Ultrasound Technique Enables Safer Vein Access in Critically Ill Patients

Image: Schematic diagram of applying the SAVES method (right side) compared to the classical approach (R Zhang et al., Journal of Intensive Medicine (2025). DOI: 10.1016/j.ultrasmedbio.2025.03.00489)

Anew ultrasound-guided approach for infraclavicular vein cannulation developed by researchers at Shanghai Jiao Tong University School of Medicine (Shanghai, China; www.shsmu.edu.cn) has been shown to improve both safety and success in critically ill patients. The new method, called SAVES, minimizes the risks of iatrogenic injury and misplacement by simultaneously displaying the vein and artery, while keeping the pleura excluded.

NUCLEAR

MEDICINE

PET Imaging Method Detects Inflammation in Body

Researchers at Dana-Farber Cancer Institute (Boston, MA, USA; www. dana-farber.org) have developed the first ever probe capable of identifying general inflammation with high sensitivity through whole-body imaging. This breakthrough technique, which uses positron emission tomography (PET) imaging to detect inflammation, could be used in clinical settings to guide treatment choices for inflammation-related conditions, monitor responses to anti-inflammatory drugs and cancer immunotherapies, and assist in diagnosing diseases linked to chronic inflammation.

PET Imaging Approach Offers Unprecedented View of Neuroinflammation

The first-in-human study conducted by researchers at the National Institutes of Health (NIH, Bethesda, MD, USA; www.nih.gov) has provided an unprecedented view of brain inflammation by imaging the COX-2 enzyme, paving the way for COX-2 PET imaging to be used in both clinical and research settings for various brain disorders. The research aimed to establish a non-invasive imaging technique to measure COX-2 in the living brain, facilitating earlier disease detection, monitoring disease progression, and evaluating anti-inflammatory treatments.

PET Imaging Technique Detects Hard-To-Diagnose Lung Infections

Researchers at Johns Hopkins University Medical School (Baltimore, MD, USA; www.hopkinsmedicine.org) have demonstrated the ef-

fectiveness of a new PET imaging technique to accurately detect and monitor Mycobacteroides abscessus lung infections. This innovation offers a promising new diagnostic tool that could significantly improve diagnosis and treatment decisions for patients with chronic lung infections.

‘Dual-Mode’ Tracer

Enables Surgeons to See and Hear Prostate Cancer

Researchers at the University of British Columbia (Vancouver, Canada; www.ubc.ca) have developed a new “dual-mode” tracer that could enable surgeons to see and hear prostate cancer. Designed to help image, plan, and guide prostate cancer procedures, the tracer uses a single molecule labeled with Fluorine-18, a common isotope in PET scans, enabling both fluorescence-guided and radio-guided surgery.

Camera Sees Inside Human Body for Enhanced Scanning

Researchers at Northwestern University (Evanston, IL, USA; www.northwestern.edu), in collaboration with Soochow University (Suzhou, China; www.eng.suda. edu.cn), have created the first perovskite-based detector capable of capturing individual gamma rays with record precision. The technology can reduce the cost and increase the quality of nuclear medicine,

while resulting in shorter scans, clearer images, and lower radiation doses for patients.

VIENNA / 04 - 08 MARCH

Image: The diagnostic tool could improve diagnosis and treatment decisions for patients with chronic lung infections (Photo courtesy of SNMMI)
Image: Perovskite crystal boules are grown in carefully controlled conditions from the melt (Photo courtesy of Mercouri Kanatzidis/Northwestern University)
Image: The chemists tested the tracer on mice with human tumor implants (Photo courtesy of UBC)

TOP NEWS DEVELOPMENTS OF 2025

Image: Structural design, self-healing capability, and mechanical flexibility of the E-Skin (Photo courtesy of Science Advances, DOI:10.1126/ sciadv.ads1301)

Self-Healing Electronic Skin Repairs Itself in Seconds

Scientists at the Terasaki Institute for Biomedical Innovation (Los Angeles, CA, USA; www.terasaki.org) have developed a self-healing electronic skin (E-Skin) that can repair itself within seconds after damage. The E-Skin technology that restores over 80% of its functionality within 10 seconds of damage holds the potential to revolutionize personal health monitoring.

New Implant to Help Patients Regenerate Heart Valves

Researchers at Georgia Institute of Technology (Atlanta, GA, USA; www.gatech.edu) have developed a 3D-printed heart valve made from bioresorbable materials, designed to match an individual patient’s specific anatomy. This groundbreaking technology could allow patients to grow new valve tissue, eliminating the need for multiple valve replacements in the future.

Leadless Pacemaker to Prevent Invasive Surgeries for Children

Researchers at Children’s National Hospital (Washington, D.C., USA; www.childrensnational.org), in partnership with engineers at (University of Southern California, USC, Los Angeles, CA, USA; www.usc.edu), have developed a groundbreaking prototype for a new leadless pacemaker that can be implanted in a minimally invasive manner in children and those with congenital heart disease. Designed to be the first fully leadless system implanted in the pericardial space surrounding the heart, it also offers a safer leadless pacemaker option for adults.

Flexible Semi-Autonomous Robot Could Deliver Medicine Inside Body

An international team of researchers, led by Penn State (University Park, PA, USA; www.psu.edu), are integrating flexible electronics with magnetically controlled motion to develop small, soft robots that can travel inside the body and deliver targeted medication. The team is making these robots smarter by integrating sensors, enabling them to interact with their surroundings and function with minimal human intervention.

For more information on news developments listed below, logon to www.hospimedica.com and type appropriate keyword(s) into search engine to access full story from news archive

World’s Smallest Pacemaker Fits Inside Syringe Tip

Engineers at Northwestern University (Evanston, IL, USA; www. northwestern.edu) have developed a pacemaker small enough to fit inside a syringe, allowing it to be non-invasively injected into the body. This temporary use pacemaker, which is smaller than a grain of rice and is paired with a soft, flexible, wireless, wearable device, can particularly benefit newborn babies with congenital heart defects and those with small, fragile hearts.

Smart Bandage Monitors Chronic Wounds

Aresearch team at California Institute of Technology (Caltech, Pasadena, CA, USA; www.caltech.edu) has demonstrated a future smart bandage that could provide real-time data on chronic wounds in animal models. Envisioned as a “lab on skin,” the smart bandage could assist both patients and caregivers by not only monitoring chronic wounds but also delivering treatment and accelerating the healing process for slow-healing cuts, incisions, scrapes, and burns.

Specialized Face Mask Detects Chronic Kidney Disease

Amodified surgical face mask designed to prevent the spread of airborne pathogens has shown potential to also detect health conditions, including Chronic Kidney Disease (CKD). Developed by researchers at the University of Rome Tor Vergata (Rome, Italy; www.web.uniroma2.it), the mask is integrated with a breath sensor that could detect ammonia along with other metabolites specifically related to CKD.

Tiny Implantable Battery Shrinks Tumor Size By 99%

Agroundbreaking biobattery has demonstrated its ability to reduce tumor growth and may offer a new, drug-free approach to immunotherapy treatment for cancer patients. The tiny implantable biobattery, developed through a global collaboration between researchers at the University of Wollongong (UOW, NSW, Australia; www.uow.edu.au) and Jilin University (Changchun, China; www.jlu. edu.cn), successfully shrank tumors by 99% in just two weeks during laboratory tests.

Image: A close-up of the biobattery (Photo courtesy of UOW)

Portable Device Detects Airborne Viruses and Bacteria

Image: The new device can detect molecules in air samples to diagnose a wide array of diseases (Photo courtesy of UChicago)

Researchers at The University of Chicago (Chicago, IL, USA; www. uchicago.edu) have developed a compact, portable device capable of detecting airborne molecules. This breakthrough has the potential to revolutionize areas such as medicine and public health. The device, named ABLE (Airborne Biomarker Localization Engine), is designed to detect airborne viruses or bacteria in environments like hospitals or public spaces, improve neonatal care, or allow people with diabetes to monitor their glucose levels through their breath.

New Technology Recognizes Disease Biomarkers in Menstrual Blood in Sanitary Towels

Researchers at ETH Zurich (Zurich, Switzerland; www.ethz.ch) have developed MenstruAI, a pioneering device capable of recognizing bio markers in menstrual blood. This electronic-free sensor technology eliminates the need for laboratory analysis and could enable early dis ease detection in daily life.

Photoacoustic Microscopy Monitors Stents Through Skin

Researchers from Xi’an JiaotongLiverpool University (Jiang su, China; www.xjtlu.edu.cn) and Shanghai Jiao Tong University (Shanghai, China; www.sjtu.edu. cn) have demonstrated that a novel noninvasive technique can image stents through the skin, offering a potentially safer and easier mon

itoring method. They showed that this technique can successfully visualize stents under various clinically relevant conditions, including simulated damage and plaque buildup.

Ultra-Thin Implant Helps Spine Injury Patients Recover Lost Functions

Scientists

at the University of Auckland (Auckland, New Zealand;

stored movement after spinal cord injury in an animal study. Designed to sit directly on the spinal cord, precisely over the injury site in rats, the implantable electronic device delivers a controlled electrical current to the affected area, offering hope for future human treatments.

Smart Capsule Offers Real-Time Profiling Across GI Tract

Researchers at the California Institute of Technology (Caltech, Pasadena, CA, USA; www.caltech.edu) have developed a smart capsule capable of measuring pH, temperature, and a wide array of biomarkers. The capsule, named PillTrek, measures just 7 millimeters in diameter and 25 millimeters in length—smaller than standard capsule endoscopy devices—yet it performs a wide range of electrochemical analyses.

AI-Powered Wearable Sensor Predicts Labor Onset

Aresearch team at University of Arizona Health Sciences (Tucson, AZ, USA; www.uahs.arizona.edu) has developed a deep learning model that uses temperature trends to predict the daily likelihood of labor onset in expectant mothers. In their study to determine whether temperature patterns could forecast labor in humans, their final model accurately identified the onset of spontaneous labor for 79% of participants within a 4.6-day window when assessed seven days before actual labor began, and within a 7.4-day window when assessed ten days in advance.

Wearable-Powered System Predicts Acute Inflammation

Researchers at McGill University (Quebec, Canada; www.mcgill. ca) have developed a wearable AI-powered system that detects early immune signals before symptoms arise and has achieved nearly 90% sensitivity in identifying acute inflammation. The tool can detect inflammation before symptoms appear, opening the door to earlier intervention, while saving lives and reducing healthcare costs by preventing complications and hospitalizations.

Smart Microgel Could Repair and Replace Damaged Organs

Researchers from the University of Queensland (Brisbane, QLD, Australia; www.uq.edu.au) have developed a new microfluidics

tool that generates ‘smart’ microgel droplets capable of supporting sensitive biomedical applications without compromising safety or functionality. Named UQ-Surf, the new microfluidics tool’s compatibility with living cells and high-throughput capacity make it especially promising for targeted delivery systems, gene therapies, and the future of engineered tissues.

Implantable Device Could Save Diabetics from Low Blood Sugar

Researchers from Massachusetts Institute of Technology (MIT, Cambridge, MA, USA; www.mit.edu) have developed an implantable device that can automatically release glucagon when blood sugar levels become dangerously low, offering a potential solution for better management of hypoglycemia. This implantable device’s ability to function without requiring pre-processing or complex steps makes it a potential game-changer for diabetes care.

Wireless Implant Delivers Chemotherapy Deep into Tumors

Amultidisciplinary research team, led by Seoul National University (Seoul, South Korea; www.snu.ac.kr), has developed a novel implantable drug delivery system that enables anticancer drugs to penetrate deep into solid tumors. The solution, called Dual-Phoretic Wireless Drug Delivery System (DPw-DDS), could revolutionize chemotherapy treatments by enhancing efficacy and minimizing side effects.

Soft Robot Intubation Device Could Save Lives

Anon-electronic

soft robotic intubation system designed by researchers at the University of California - Santa Barbara (UC Santa Barbara, Santa Barbara, CA, USA; www.ucsb.edu) can make endotracheal intubation quicker and easier. The device which autonomously guides a tube into the trachea has shown very high success rates in early tests even among non-expert users.

Image: The PillTrek smart capsule measures just 7 millimeters in diameter and 25 millimeters in length (Photo courtesy of Jihong Min and Wei Gao/ Caltech)
Image: Microfluidics tools are used to manipulate liquids and gas at incredibly small scales (Photo courtesy of University of Queensland)
Image: An illustration of how the intubation device is used (Photo courtesy of UC Santa Barbara)

Bee-Sting Inspired Wearable Microneedles to Revolutionize Drug Delivery

Researchers from Chung-Ang University (Seoul, South Korea; www.cau.ac.kr) have introduced wearable microneedles inspired by the natural mechanism of a bee sting that can improve drug absorption and reduce pain in long-term delivery. The wearable Electrospun Web Microneedle (EW-MN) patches mimic the anchoring structure of a bee stinger that enables the microneedles to attach securely to the skin to release drugs continuously over time without requiring rigid components.

AI Stethoscope Detects Three Heart Conditions In 15 Seconds

Researchers at Imperial College London (London, UK; www. imperial.ac.uk) have tested an artificial intelligence (AI)-enabled stethoscope designed to detect three heart conditions in a single sitting. Trained on tens of thousands of health records, the stethoscope has been manufactured by Eko Health (Oakland, CA, USA; www. ekohealth.com) and identifies subtle abnormalities invisible to the human ear. About the size of a playing card, it records ECG signals and heart sounds, sending the data to secure cloud storage for AI analysis.

Implantable 3D Patch Closes and Repairs Heart Defects

Aresearch team from ETH Zurich (Zurich, Switzerland; www.ethz. ch) and the University Hospital of Zurich (Zurich, Switzerland; www.usz.ch) has developed a 3D-printed cardiac patch that can match the mechanical properties of the heart and withstand internal blood pressure, thereby closing defects as well as helping damaged heart tissue regenerate. The “RCPatch” (Reinforced Cardiac Patch) is designed for intraventricular implantation and features a three-part design that allows the patch to integrate into existing heart tissue and degrade naturally once healing is complete.

New Device Detects Tuberculosis DNA in Exhaled Air

Astudy, conducted by researchers at Karolinska Institutet (Stockholm, Sweden; www.ki.se) in collaboration with Stellenbosch University (Cape Town, South Africa; www.su.ac.za), has found that DNA from the tuberculosis bacterium can be detected in exhaled air to identify infectious individuals directly in primary care settings. The researchers emphasize that this is an early step toward understanding transmission dynamics and developing rapid, accessible diagnostics for global use in primary healthcare settings.

Handheld Sensor Could Replace Blood Tests for Health Monitoring

Scientists at Texas A&M AgriLife Research (College Station, TX, USA; www.agrilife.tamu.edu) have developed a light-based device can noninvasively and accurately measure these critical health indicators through the skin. This handheld, keychain-sized light-based sensor uses Raman spectroscopy to scan biochemical patterns in the skin and translates them into data on diet, age, sex, and nutrient levels.

Sepsis Diagnostic Device to Help Personalize Critical Care for ICU Patients

Researchers at Washington University School of Medicine (St. Louis, MO, USA; www.medicine.washu.edu) are developing a clinical test and handheld device for sepsis diagnostics. The system uses a lateral flow assay, similar to a rapid COVID-19 test, enhanced with fluorescent nanoparticles for highly sensitive detection and quantification. This tool has the potential to reach patients at the

Image: A clinical test and handheld device could quickly classify sepsis patients into two groups (Photo courtesy of Sara Moser/WashU Medicine)

bedside, offering personalized care based on each individual’s specific biological responses.

Puritan® specimen collection & transport for seasonal illness sampling. It’s that time of year again, when the usual suspects start lining up. Be ready with a wide range of swabs and transport kits — designed to capture and deliver culprits to the lab. Find out what’s “bugging” your patients with Puritan testing supplies.

LEARN MORE ONLINE info.puritanmedproducts.com/seasonal-culprits

Point of Care

TOP NEWS DEVELOPMENTS OF 2025

Blood Test Could Detect Stroke Type Before Hospital Arrival

Astudy by researchers at RKH Hospital Klinikum Ludwigsburg (Ludwigsburg, Germany; www.rkh-gesundheit.de) has revealed that blood levels of glial fibrillary acidic protein (GFAP), a marker for brain injury, are higher in patients with brain hemorrhages compared to those who have strokes caused by blood clots. The finding paves the way for a blood test to enable rapid differentiation between brain bleeds and clot-caused strokes, even before patients with stroke symptoms arrive at the emergency room.

POC Paper-Based Sensor Platform to Transform Cardiac Diagnostics

Researchers from the University of California, Los Angeles (UCLA, Los Angeles, CA, USA; www.ucla.edu) have demonstrated how integrating chemiluminescence-based biosensing, high-sensitivity imaging via a portable reader, and AI-driven data analysis allows for rapid and highly sensitive cTnI quantification for the detection of myocardial infarction in various clinical environments. This technology has the potential to provide fast, reliable cardiac diagnostics, particularly in areas with limited resources where advanced laboratory infrastructure is unavailable.

Sepsis Diagnostic Test Demonstrates Improved Patient Care and Cost Savings

Astudy

conducted by Our Lady of the Lake Regional Medical Center (Baton Rouge, LA, USA; www.fmolhs.org) to evaluate Cytovale’s (South San Francisco, CA, USA; www.cytovale.com) IntelliSep test has shown that he rapid sepsis diagnostic test can reduce care costs and improve the efficiency of sepsis management at a large academic medical center in the U.S. IntelliSep is the first FDA-cleared rapid diagnostic test for sepsis, designed for use in the Emergency Department, that produces results in approximately 8 minutes from a standard blood draw and can be easily integrated into existing care workflows.

For more information on news developments listed below, logon to www.hospimedica.com and type appropriate keyword(s) into search engine to access full story from news archive

Paper-Based Device Detects Infectious Diseases In 10 Minutes

Scientists at NYU Abu Dhabi (Abu Dhabi, UAE; www.nyuad.nyu. edu) have developed a paper-based diagnostic device that can detect COVID-19 and other infectious diseases in under 10 minutes, without the need for sophisticated lab equipment or trained personnel. The Radially Compartmentalized Paper Chip (RCP-Chip), developed by the team, offers a fast, affordable, and portable solution for on-site screening.

Handheld Device Delivers Low-Cost TB Results

Researchers at Tulane University (New Orleans, LA, USA; www. tulane.edu) have developed a first-of-its-kind handheld diagnostic device capable of providing quick and accurate TB diagnoses in under an hour. This smartphone-sized, battery-powered lab-in-tube assay (LIT) is a cost-effective solution that enhances TB diagnosis, particularly in rural areas with limited access to healthcare facilities and lab equipment.

Syphilis Test to Definitively Diagnose Active Infection In 10 Minutes

Researchers from The Pennsylvania State University (University Park, PA, USA; www.psu.edu) are working on a one-step confirmatory laboratory test designed to definitively diagnose active syphilis infection in just 10 minutes. The collaborative project is developing a platform that combines treponemal and non-treponemal assays to offer a more definitive, stand-alone diagnosis of syphilis.

POC Lateral Flow Test Detects Deadly Fungal Infection Faster

Scientists at the University of Exeter (Exeter, UK; www.exeter. ac.uk) have developed a novel lateral-flow test that enables rapid detection of mucormycosis directly from patient biofluids. The test works by using a specific antibody that binds to a signature

molecule secreted by Mucorales fungi and delivers results in just 30 minutes.

Blood Test Detects Up to Five Infectious Diseases at POC

Researchers at Bangor University (Gwynedd, UK; www.bangor. ac.uk) and Abertay University (Dundee, Scotland; www.abertay. ac.uk) have developed a prototype flow-through assay capable of detecting up to five different infections, with results that can be quickly analyzed and transmitted via a specialized smartphone app. This innovative process holds the potential to greatly accelerate diagnostics that traditionally take weeks, providing real-time data while being more cost-effective than current lab-based testing methods.

antigens at high sensitivity in just minutes, delivering results much faster without the stressful wait associated with lab confirmations.

POC Heparin Monitoring Test Provides Results in 15 Minutes

Baebies’ (Durham, NC, USA; www. baebies.com) Anti-Factor Xa test is new POC heparin monitoring assay designed for patients receiving unfractionated or low molecular weight heparin that offers results in under 15 minutes from just 50 µL of whole blood. The test has received Breakthrough Device Designation from the U.S. FDA on the FINDER platform, highlighting its potential to bring hep-

Image: The FINDER multifunctional testing platform can run multiple types of tests and deliver rapid results for near-patient use (Photo courtesy

≤30 minutes

≤35 minutes

qPCR Detection Kits (PCR fluorescence method):

Respiratory Diseases: COVID-19, fluA, fluB, AdV, TB and multiplex test

Blood Diseases: HBV, HCV, HIV and multiplex test

Sexually Transmitted Diseases: HPV, CT, NG, UU and multiplex test

Viral Zoonotic Diseases: MPV

Vector-borne Diseases: PF, ZIKV

Genetic Diseases: MTHFR

Animal Diseases: Swine/Avian/Aquatic

Animal/Ruminant/Companion Animal Diseases

Singu20 Nucleic Acid Extractor AccuRa-32 Real-Time PCR System (32 samples)
Singu20 Nucleic Acid Extractor AccuRa mini Real-Time PCR System (8-16 samples)
Image: A prototype of the lateral flow test (Photo courtesy of University of Exeter)
of Baebies)

arin monitoring directly to the patient, and enabling faster and more efficient dose management in critical care settings.

Low-Cost Near-Patient Diagnostic Platform Rapidly Diagnoses STIs

Linear Diagnostics (Birmingham, UK; www.lineardiagnostics.com), a spin-out from the University of Birmingham (Birmingham, UK; www.birmingham.ac.uk), is developing a low-cost, near-patient diagnostic platform that promises to detect sexually transmitted infections (STIs) more quickly than any existing commercial alternative. The platform has demonstrated the ability to detect bacterial STIs, urinary tract infections, and viral infections such as SARS-CoV-2 in as little as five minutes.

Non-Invasive System Revolutionizes POC Hospital Diagnostics

Brina Medical (Miami, FL, USA; www.brinamedical.com) has introduced the CMAT Advantage, a non-invasive device that combines three key tests into one seamless procedure. This next-generation point-of-care diagnostic system is designed to help healthcare providers keep pace with rising chronic disease rates.

POC System Delivers Lab-Quality PCR Results Directly from Swab Sample

LEX Diagnostics (Cambridgeshire, UK; www.lexdiagnostics.com) has developed an ultra-fast point-of-care molecular diagnostics platform that delivers highly sensitive PCR results for key respiratory pathogens directly from a swab sample in less than ten minutes. The VELO system uses a proprietary cartridge-based design that eliminates the need for external liquid handling, providing ease of use and reliability.

Diagnostic Platform Performs POC Immune Analysis Using Fingertip Blood

Scientists at Shenzhen Institutes of Advanced Technology (SIAT, Guangdong, China; www.siat.cas.cn) and Chinese Academy of Sciences (CAS, Beijing, China; www.cas.cn), in collaboration with multiple research partners, have developed a compact diagnostic platform to evaluate infectious disease immune protection. Known as the Tip Optofluidic Immunoassay (TOI), it can evaluate antibody protection using just a single microliter of fingertip blood—delivering results in only 40 minutes.

Portable Diagnostic Tool Detects Viruses at POC

Researchers at Mass General Brigham (Boston, MA, USA; www. massgeneralbrigham.org) have developed a rapid, portable, and highly sensitive diagnostic tool that generates bioluminescence signals 500 times stronger and 8 times longer-lasting than previous diagnostic tools, overcoming the limitations of earlier POC diagnostics. The Luminescence Cascade-based Sensor (LUCAS) addresses the shortcomings of current diagnostic methods and more accurately detects SARS-CoV-2, HIV, HBV, and HCV in patient samples.

Rapid Bedside Test Predicts Sepsis with Over 90% Accuracy

Researchers at the University of British Columbia (UBC, Vancouver, BC, Canada; www.ubc.ca) and Sepset Biosciences (Victoria, BC, Canada; www.sepset.ca) have developed a new blood test and portable device that can detect the onset of sepsis more quickly and accurately than existing methods. The test has demonstrated over 90% accuracy in identifying individuals at high risk of developing sepsis, marking a significant advancement in how doctors will diagnose and treat this condition.

CRISPR-Based Molecular Tech

Brings Diagnostics to Point of Need

Scope

Biosciences B.V.’s (Wageningen, Netherlands; www.scopebio. com) scopeDx is a comprehensive solution for POC diagnostics that harnesses the power of CRISPR-Cas for extreme accuracy in an onsite setting. This next-gen CRISPR-based molecular diagnostics platform delivers ultra-precise, single-nucleotide detection in a format which is portable and field-ready without proprietary hardware or centralized labs.

Influenza Test Could Replace Nasal Swabs with Chewing Gum

Researchers at the University of Würzburg (Würzburg, Germany; www.uni-wuerzburg.de) are developing a simple self-test in the form of chewing gum or a lollipop that could detect influenza within minutes by producing a recognizable taste when active virus is present. The researchers are working on incorporating sensors into chewing gum or lollipops and adapting the system for mass production, a process they estimate will take about four years.

Automated Platform to Rapidly Detect Bloodstream Infections

Scanogen (Baltimore, MD, USA; www.scanogen.com) has developed an automated diagnostic platform that could enable rapid

Image: The upgraded CMAT Advantage offers a revolutionary solution in point-of-care chronic disease diagnostics (Photo courtesy of Brina Medical)
Image: The LEX VELO system aims to redefine point-of-care testing (Photo courtesy of LEX Diagnostics)

testing for life-threatening bloodstream infections. The automated diagnostic system is designed to deliver results directly from whole blood within two hours, eliminating the need for blood culture.

Bedside Test Uses Sugar Fingerprint to Detect Fungal Infections

Scientists at the Max Planck Institute of Colloids and Interfaces (Brandenburg, Germany; www.mpikg.mpg.de), along with collaborators, have developed a method that uses sugar fingerprints to rapidly detect Candida bloodstream infections at the bedside. Their findings suggest that a simple bedside test strip using minimal blood could return results in minutes, replacing invasive procedures and reducing infection risks from multiple blood draws.

GFAP Lateral Flow Test Could Enable Rapid TBI Diagnosis

Alandmark study has demonstrated the development and successful clinical application of the world’s first lateral flow test for measuring Glial Fibrillary Acidic Protein (GFAP), a biomarker of brain injury. The novel GFAP lateral flow device developed by Upfront Diagnostics (Cambridge, UK; www.upfrontdiagnostics.com), in collaboration with global partners, could enable rapid and accurate TBI diagnosis.

Injury Molecular Fingerprint Enables Real-Time Diagnostics

Researchers at Rutgers Health (Brunswick, NJ, USA; www. rutgershealth.org) have discovered that trauma immediately alters the structure of specific proteins, creating a unique injury molecular signature. This opens up the possibility of using these changes to guide treatments directly to the site of injury within minutes of its occurrence.

Infectious Disease Analytics Platform Speeds Up Clinical Decision-Making

Seegene (Seoul, South Korea; www.seegene.com) has launched STAgora, a next-generation real-time infectious disease intelligence system that supports clinical decision-making and enhances pandemic preparedness. The infectious disease analytics platform integrates diagnostic results with advanced statistical modeling and is set to transform how outbreaks are detected, monitored, and addressed.

Rapid Test Detects Early Pneumonia in Critically Ill Patients

EDX

Medical (Cambridge, UK; www.edxmedical.co.uk) is working with clinical and academic partners to develop the ARDP (Acute Respiratory Distress & Pneumonia) ICU test. This new test aims to deliver rapid, definitive detection of respiratory infections and pneumonia in critically ill patients, enabling faster selection of the most effective treatment.

Portable Device Boosts TB Detection in HIV Hotspots

Researchers at Tulane University (Orleans, LA, USA; www.tulane. edu) have developed a handheld diagnostic tool that offers a major advancement, significantly improving TB detection in HIV-infected individuals. The portable device that operates without electricity and is driven by a beetle-inspired chemical reaction addresses a persistent gap in the detection of TB among HIV-positive individuals that has long hindered global TB eradication efforts.

TOP NEWS DEVELOPMENTS OF 2025

Multifunctional Biomedical Robot Holds Promise for Interventional Diagnosis

Researchers from the School of Engineering of the Hong Kong University of Science and Technology (HKUST, www.seng.hkust. edu.hk) have developed the world’s smallest multifunctional biomedical robot, which is 60% smaller than current models. This robot combines imaging, high-precision motion, and multifunctional capabilities, including sampling, drug delivery, and laser ablation.

Endoscope Identifies and Selectively Removes Tumor Tissue in Real Time

Aninnovative endoscope, developed by researchers from the Leibniz Institute

For more information on news developments listed below, logon to www.hospimedica.com and type appropriate keyword(s) into search engine to access full story from news archive

of Photonic Technology (Leibniz IPHT, Jena, Germany; www.leibniz-ipht.de), could make cancer surgery safer by precisely identifying and selectively removing tumor tissue in real-time during surgery. By integrating cutting-edge laser and imaging technologies with artificial intelligence (AI), this approach presents new opportunities for improving patients’ recovery outcomes.

Heart Patch Could Treat Advanced Heart Failure Patients

Aftersuccessful preclinical testing in an animal model, the world’s first treatment involving heart tissue cultivated from stem cells has been administered to patients. This milestone is a significant step forward for the clinical application of the ‘heart patch,’ an innovative treatment for severe heart failure, and is part of the translational research strategy by the German Centre for Cardiovascular Research (DZHK, Berlin, Germany; www.dzhk.de).

Sensing System Restores Touch in Minimally Invasive Surgery

Researchers from NYU Abu Dhabi’s Advanced Microfluidics and Microdevices Laboratory (AMMLab, Abu Dhabi, UAE; www.wp.nyu.edu/amm_lab) have created an innovative sensing system designed to restore the lost tactile feedback in minimally invasive surgery, improving precision, usability, and safety. This unique “off-the-jaw” system incor-

porates both force and angle sensors into the handle of laparoscopic tools, offering surgeons real-time data on grasping forces as well as insights into tissue stiffness and thickness.

Breath Analysis Enables Precise Anesthesia Dosing in Children Undergoing Surgery

Researchers at University of Basel (Basel, Switzerland; www.unibas.ch) have developed a breath analysis technique that can help anesthesia teams monitor the concentration of the common anesthetic propofol in near real time, offering a promising new approach to precise and individualized dosing. This breakthrough leverages advanced mass spectrometry and specially designed breath collection systems to monitor the concentration of propofol and its metabolic byproducts.

First-of-Its-Kind Device Replaces Mitral Valve Without Open-Heart Surgery

The Tendyne transcatheter mitral valve replacement (TMVR) from Abbott (Abbott Park, IL, USA; www.abbott.com) offers a new treatment option for patients who are not candidates for open-heart surgery or mitral repair. Tendyne offers an alternative minimally invasive way to replace the valve that’s leaky (mitral regurgitation) or narrowed (stenosis) for patients with

Image: The optical fiber-based submillimeter continuum robot has been designed for interventional treatment in narrow cavities (Photo courtesy of HKUST)

Image: Vibrational spectroscopy instrument (Photo courtesy of Mariam Al-Masmudi/CNIO)

severe MAC who are at high risk for open-heart surgery and whose mitral valve cannot be successfully repaired with the Abbott MitraClip device.

‘Molecular Flashlight’ Detects Brain Metastasis

Anew experimental technique enables non-invasive monitoring of molecular changes in the brain caused by cancer and other neurological conditions. by introducing light into the brains of mice through a very thin probe. This method, developed by an international team that includes researchers from the Spanish National Research Council (CSIC, Madrid, Spain; www.csic.es) and the Spanish National Cancer Research Centre (CNIO, Madrid, Spain; www. cnio.es), has been dubbed the “molecular lantern.”

Fluorescent Soft Robots Locate Gastric Cancer During Laparoscopic Surgery

Anew study suggests the use of fluorescent soft robots to accurately identify tumors within the stomach, offering a potentially more effective and efficient solution in a clinically accessible manner. The fluorescent magnetic micro-robots, developed by researchers at Zhejiang University (Hangzhou, China; www. zju.edu.cn), offers a promising method for the real-time localization of gastric lesions during surgery.

Sutureless Coronary Bypass Technology to Eliminate Open-Chest Procedures

AMT

Medical (Ede, The Netherlands; www.amt-medical.nl) is pioneering the development of the ELANA Heart Bypass System, a minimally invasive solution that could replace traditional open-heart bypass surgery. This breakthrough technology is poised to transform coronary artery bypass surgery by eliminating the need for suturing altogether.

AI Surgical Guidance Platform Allows Surgeons to Measure Success in Real-Time

Proprio (Seattle, WA, USA; www. propriovision.com ) has developed Paradigm, an artificial intelligence

revolutionizes traditional surgical navigation technologies which often distract the surgical team and disrupt the flow of the procedure. This groundbreaking technology enables real-time, 3D dynamic, and segmental visualization of anatomy, allowing surgeons to measure success as they perform surgery for the first time in history.

Surgical Micro-Robot Sees and Corrects Movements from Within

Researchers from Imperial College London (London, UK; www.imperial.ac.uk) and the University of Glasgow (Scotland, UK; www.gla.ac.uk) have developed a compact robotic system that can sense and correct its own motion in real time, enabling micrometer-level accuracy without relying on

microrobot that is capable of internally visualizing and correcting its movement using fully onboard visual feedback.

Orthopedic Implants Combat Infections and Fasten Healing

Researchers at Flinders University (Bedford Park, Australia; www.flinders.edu. au) have developed a new material that resists microbial growth while enhancing bone regeneration, offering a long-lasting solution for patients undergoing major orthopedic procedures. The next-generation orthopedic implant material has a pioneering design which combines infection prevention with superior bone compatibility.

Robot-Assisted Bronchoscope Diagnoses Tiniest Lung Tumors

Researchers at University Hospital Zürich (Zürich, Switzerland; www.usz.ch) have tested a robot-assisted bronchoscope equipped with cone-beam CT (CBCT) scanning technology to locate and biopsy tumors deep within the lungs. This system uses robotic navigation

combined with 3D imaging to reach challenging areas, allowing physicians to precisely target suspicious growths that were previously out of reach for biopsy.

Fluorescent Imaging Agent ‘Lights Up’ Nerves for Better Visualization During Surgery

Researchers at Vanderbilt University Medical Center (VUMC, Nashville, TN, USA; www.vumc.org) have identified a safe and

effective fluorescent imaging agent that can help surgeons see more clearly, thereby protecting nerves during surgeries. The fluorescent imaging agent aims to enhance the visualization of nerves during surgery and is safe for human use, marking a major step forward in improving surgical outcomes.

Surgical Technique Safely Removes Giant Nerve Tumors

Researchers from Shanghai Jiao Tong University School of Medicine (Shanghai, China; www.shsmu.edu.cn) have developed an innovative approach that enhances the safety and effectiveness of surgeries to remove giant plexiform neurofibromas (PNF). The method is designed to improve the overall outcome and minimize complications during the removal of giant PNFs, particularly in sensitive areas such as the face and neck.

Surgical Microscope Offers Precise 3D Imaging

Researchers at Duke University (Durham, NC, USA; www.duke.edu) have developed a new surgical microscope that provides precise 3D measurements in real-time during surgery. The new solution, known as the Fourier lightfield multiview stereoscope (FiLM-Scope), deploys 48 tiny cameras arranged in a grid, all focused through a single high-throughput lens. The system’s ability to convert standard images into precise 3D measurements opens new possibilities for both manual and robotic microsurgery.

New Technology Makes Blood Translucent During Surgery

Ocutrx Technologies (Irvine, CA, USA; www.ocutrxtech.com) has unveiled a major surgical innovation: the ability to render blood translucent in real time during surgery. This patent-pending advancement enables surgeons to see through pooled blood without the need for suction or irrigation—a world first. The technology, called HemoLucence, will be a feature of the OR-Bot 3D Surgical Microscope System, which is scheduled to enter clinical trials in 2025 or 2026.

New Technology More Than Doubles Success Rate for Blood Clot

Removal

Researchers at Stanford Engineering (Stanford, CA, USA; www.engineering.

stanford.edu) have developed a new clot-removal method that has demonstrated over twice the effectiveness of current approaches. The novel solution, called the milli-spinner thrombectomy, could greatly improve outcomes in treating strokes, heart attacks, pulmonary embolisms, and other clot-related conditions.

Non-Invasive Tool for Removing Lung Cancer Tumors Reduces Surgical Trauma

Aminimally invasive method, being developed at the University of Saskatchewan (USask, Saskatoon, Canada; www.usask.ca), reimagines how ablation can be performed for treating lung cancer by shifting the access point from the external chest wall to the body’s natural airways—either through the nose or mouth. By delivering microwave ablation via the airway, the novel technique avoids any skin penetration and potentially reduces post-operative trauma and recovery time.

One-Stage Hybrid Surgery

Ensures Safer Outcomes in Brain and Spine Tumors

Neurosurgeons

at Beijing Tiantan Hospital (Beijing, China; www.bjtth.org) have pioneered a one-stage hybrid surgery that combines embolization and resection in a single procedure for safer outcomes in hypervascular tumors of the central nervous system (CNS).

Conducted in a hybrid operating room equipped for both endovascular and open neurosurgical procedures, this approach enables seamless transition from embolization to resection during the same anesthesia session.

Custom Anterior Cervical Spine Surgery Performed Using Personalized Implant

Image: The custom-designed titanium implant made to a patient’s unique spinal anatomy (Photo courtesy of Justin Covington/UC San Diego Health)

UC San Diego Health (San Diego, CA, USA; www.health.ucsd.edu) has become the first health system in the world to perform an anterior cervical spine surgery using a fully personalized implant. The

Image: Visualization of the next stage of the research - human spinal cord implants for treating paralysis (Photo courtesy of Sagol Center for Regenerative Biotechnology)

approach combines advanced imaging, artificial intelligence (AI), and 3D printing to create an implant tailored to each patient’s anatomy.

Human Spinal Cord Repair Using Patient’s Cells Could Cure Paralysis

Researchers at Tel Aviv University (Tel Aviv, Israel; www.tau.ac.il) and biotech company, Matricelf (Ness Ziona, Israel; www.matricelf.com) have developed a personalized engineered spinal cord built from the patient’s own cells. If successful, the approach could transform spinal cord repair into a treatable condition, eliminating risks of immune rejection since each cord is made from the patient’s own cells.

Transcatheter Smart Implant Monitors and Treats Congestion in Heart Failure

Relief

Cardiovascular (Costa Mesa, CA, USA; www. reliefcardio.com) has developed the Relief System, the world’s first transcatheter smart implant designed to combine hemodynamic monitoring with adaptive therapy for heart failure patients. The new implantable system is capable of directly monitoring and treating this congestion in real time, introducing a new paradigm: personalized, data-driven decongestion through a single device.

Magnetic Soft Robots to Perform Minimally Invasive GI Tract Procedures

New research at the University of Macau (Taipa, Macau; www.um.edu.mo) is advancing the potential applications of bio-inspired magnetic soft robots (BMSRs) in minimally invasive GI treatment. Built using flexible, deformable materials instead of rigid components, the BMSRs minimize the risk of tissue damage and patient discomfort while moving through the digestive system.

Laser-Based Technique Eliminates Pancreatic Tumors and Protects Healthy Tissue

Image: Using a laser wavelength that matches the collagen absorption peak allows selective ablation of PDAC without harming healthy tissue (Photo courtesy of Houkun Liang/ Sichuan University)

Researchers from Sichuan University (Sichuan, China; www.scu.edu.cn), in collaboration with Nanyang Technological University (Singapore; www.ntu.edu.sg) have developed a new laser-based approach that precisely targets pancreatic tumors by exploiting their molecular composition, eliminating cancer cells while protecting healthy tissue. By using a wavelength of 6.1 microns—strongly absorbed by collagen—the laser selectively ablates tumor cells without harming surrounding healthy tissue.

Danaher Partners with Innovaccer on Novel Digital and Diagnostic Solutions

Danaher Diagnostics LLC and Danaher Ventures LLC, two subsidiaries of Danaher Corporation (Washington, DC, USA; www.danaher. com), has formed an investment partnership with healthcare artificial intelligence (AI) company Innovaccer Inc. (San Francisco, CA, USA; www.innovaccer.com). The investment aligns with Danaher’s mission to accelerate the transition to precision medicine with AI-enabled diagnostics.

Boston Scientific Acquires SoniVie

Boston Scientific Corporation (Marlborough, MA, USA; www. bostonscientific.com) has entered into a definitive agreement to acquire SoniVie Ltd. (Rehovot, Israel; www.sonivie.com), the developer of the TIVUS Intravascular Ultrasound System. The TIVUS system is an investigational technology designed to treat various hypertensive disorders by performing renal artery denervation (RDN) to reduce nerve activity surrounding blood vessels.

Expanded Collaboration to Transform OR Technology

Artisight (Chicago, IL, USA; www.artisight.com) is deepening its collaboration with KARL STORZ (Tuttlingen, Germany; www.karlstorz. com) and NVIDIA (Santa Clara, CA, USA; www.nvidia.com) to bring the next generation of AI-driven solutions to smart operating rooms (ORs). This collaboration builds upon the existing work between Artisight and KARL STORZ, now integrating NVIDIA’s advanced AI computing platform to drive real-time surgical insights, automation, and enhanced perioperative efficiency.

Teleflex to Acquire BIOTRONIK’s Vascular Intervention Business

Teleflex (Wayne, PA, USA; www.teleflex.com) has entered into a definitive agreement to acquire substantially all of the Vascular Intervention business of BIOTRONIK (Berlin, Germany; www. biotronik.com). The acquired business will expand the Teleflex Interventional portfolio to include a broad suite of vascular intervention devices.

Becton Dickinson to Spin Out Biosciences

and Diagnostic Solutions Business

Becton, Dickinson and Company (BD, Franklin Lakes, NJ, USA; www. bd.com) has announced that its board of directors has unanimously authorized BD management to pursue a plan to separate BD’s Biosciences and Diagnostic Solutions business from the rest of BD to enhance strategic focus and growth-oriented investments and capital allocation for both BD and the separated business and enhance value creation for shareholders.

Bayer and Broad Institute Extend Research Collaboration

Bayer (Berlin, Germany; www.bayer.com) and the Broad Institute (Cambridge, MA, USA; www.broadinstitute.org) have extended their research collaboration of 10 years by an additional five years, to further advance findings in human genomics research in cardiovascular diseases. The expanded agreement will focus on joint precision cardiology target identification, leveraging the established human cardiomyocyte platform to rapidly validate observations, and discovery of novel therapeutic approaches.

B. Braun Acquires True Digital Surgery

B. Braun SE (Melsungen, Germany; www.bbraun.com), a global leader in medical technology, has fully acquired True Digital Surgery (TDS, Goleta, CA, USA; www.truedigitalsurgery.com), a company specializing in digital robotic-assisted 3D surgical microscopy. This move enables B. Braun’s surgical division, Aesculap, to integrate TDS’s innovative capabilities and enhance the performance of its flagship Aesculap AEOS digital microsurgery platform.

For more information on news developments listed below, logon to www.hospimedica.com and type appropriate keyword(s) into search engine to access full story from news archive

Philips and Masimo Partner to Advance Patient Monitoring Royal Philips (Amsterdam, Netherlands; www.philips.com) and Masimo (Irvine, California, USA; www.masimo.com) have renewed their multiyear strategic collaboration, combining Philips’ expertise in patient monitoring with Masimo’s noninvasive measurement technologies. The partnership centers on integrating Masimo’s innovations—such as SET pulse oximetry, Radius PPG, and advanced sensors—into Philips’ multiparameter monitoring platforms.

Advanced Instruments and Nova Biomedical to Merge Under Nova Brand Advanced Instruments (www.aicompanies.com; Norwood, MA, USA) and Nova Biomedical (www.novabiomedical.com; Waltham, MA, USA) have announced the merger of the two companies under the single Nova brand. The strategic merger brings together two biomedical leaders with complementary strengths in analytical instrumentation, R&D, and global customer support.

INVITEDTOAPPLY DISTRIBUTORS

Thermo-Resistant (- 60 °C to 300 °C) Fully Washable & Flexible Suitable for central sterilization services Sterilizable STERILIZABLE INSTRUMENT & WORK-SURFACE MATS

52nd COMMEC Congress 2025 – Mexican Congress of Critical Medicine. Nov 4-8; León, Mexico; congresocommec2025.mx

CBMI 2025 – 30th Brazilian Congress of Intensive Medicine. Nov 6-8; Curitiba, Brazil; cbmi2025. congressosamib.org.br

ACKSS 2025 – 77th Congress of the Korean Surgical Society (KSS). Nov 6-8; Seoul, Korea; ackss. or.kr

48th World Hospital Congress of the International Hospital Federation (IHF). Nov 10-13; Geneva, Switzerland; ihf-fih.org

BSIR 2025 – Annual Meeting of the British Society of Interventional Radiology. Nov 11-13; Liverpool, UK; bsirmeeting.org

APSR 2025 – 29th Congress of the Asian Pacific Society of Respirology. Nov 13-16; Manila, Philippines; apsr.org

MEDICA 2025. Nov 17-20; Dusseldorf, Germany; medica-tradefair.com

ASUS 2025 – 8th Congress of Asian Surgical Ultrasound Society. Nov 22-23; Seoul, Korea, asus2025.org

RSNA 2025 – Annual Meeting of the Radiological Society of North America. Nov 230 - Dec 3; Chicago, IL, USA; rsna.org

DECEMBER

67th Annual Meeting & Exposition of the American Society of Hematology (ASH). Dec 6-9; Orlando, FL, USA; hematology.org

44th Medicall Expo. Dec 12-14; Mumbai, India; medicall.in

TURKRAD 2025 – 46th Congress of the Turkish Society of Radiology. Dec 16-20; Antalya, Turkey; tsurkrad2025.org

2026

JANUARY

Medical Fair India 2026 – Delhi 31st Edition. Jan 29-31; New Delhi, India; medicalfair-india.com

IRIA 2026 – 78th Annual Conference of the Indian Radiological and Imaging Association. Jan 29 - Feb 1; Hyderabad, India; iria2026.com

FEBRUARY

WHX Dubai 2026. Feb 9-12; Dubai, UAE; worldhealthexpo.com

45th Medicall Expo. Feb 22-24; Kolkata, India; medicall.in

ESGO 2026 – 27th European Congress on Gynaecological Oncology. Feb 26-28; Copenhagen, Denmark; congress.esgo.org

CRITICARE 2026 – 32nd Annual Conference of the Indian Society of Critical Care Medicine (ISCCM). Chennai, India; criticare.isccm.org

MARCH

AAOS 2026 Annual Meeting – American Academy of Orthopaedic Surgeons. Mar 2-4; New Orleans, LA, USA; aaos.org

ECR 2026 – European Congress of Radiology. Mar 4-8; Vienna, Austria; myesr.org

53rd Annual Meeting of the Japanese Society of Intensive Care Medicine (JSICM). Mar 5-7; Yokohama, Japan; jsicm.org

HIMSS26 - Healthcare Information and Management Systems Society. Mar 9-12; Las Vegas, NV, USA; himss.org

Medical Japan 2026 Osaka – International Medical and Elderly Care Expo. Mar 10-12; Osaka, Japan; medical-jpn.jp

41st Annual EAU Congress – European Association of Urology. Mar 12-15; London, UK; uroweb. org

KIMES 2026 – Korea International Medical & Hospital Equipment Show. Mar 19-22; Seoul, Korea; kimes.kr

Critical Care Congress 2026 – 55th Annual Meeting of the Society of Critical Care Medicine (SCCM). Mar 22-24; Chicago, IL, USA; sccm.org

SAGES 2026 – Annual Meeting of the Society of American Gastrointestinal and Endoscopic Surgeons. Mar 25-28; Tampa, FL, USA; sages.org

ACC.26 – American College of Cardiology’s 75th Annual Scientific Session & Expo. Mar 28-30; New Orleans, LA, USA; accscientificsession.acc.org

WCN 2026 – World Congress of the International Society of Nephrology (ISN). Mar 28-31; Yokohama, Japan; theisn.org

APRIL

46th Medicall Expo. Apr 3-5; Hyderabad, India; medicall.in

CMEF Spring 2026 – 93rd China Medical Equipment Fair. Apr 9-12; Shanghai, China; cmef.com.cn

SIR 2026 – Annual Meeting of the Society of Interventional Radiology. Apr 11-15; Toronto, Canada; sirmeeting.org

AAEM26 – 32nd Annual Scientific Assembly of the American Academy of Emergency Medicine. Apr 11-15 Seattle, WA, USA; aaem.org

ARRS 2026 Annual Meeting – American Roentgen Ray Society. Apr 12-16; Pittsburgh, PA, USA; arrs.org

DCK 2026 – 143rd Congress of the German Society for Surgery (DGCH). Apr 14-16; Leipzig; Germany; dgch.de

Immunology 2026 – Annual Meeting of the American Association of Immunologists (AAI). Apr 1519; Boston, MA, USA; aai.org Expomed Eurasia 2026. Apr 16-18; Istanbul, Tur-

key; expomedistanbul.com

WCO-IOF-ESCEO 2026 - World Congress on Osteoporosis, Osteoarthritis and Musculoskeletal Diseases. Apr 16-19; Prrague, Czech Republic; wco-iof-esceo.org

85th Annual Meeting of Japan Radiological Society (JRS). Apr 16-19; Yokohama, Japan; radiology.jp

ASCVTS 2026 – 34th Annual Meeting of the Asian Society for Cardiovascular and Thoracic Surgery. Apr 16-19; Antalya, Turkey; ascvts2026.org

International Surgical Week 2026 – 51st World Congress of the International Society of Surgery. Apr 19-23; Mexico City, Mexico; isw2026.org

26th MEDEXPO Africa 2026 Apr 22-24; Nairobi, Kenya; expogr.com/kenyamed

146th Annual Meeting of the American Surgical Association (ASA). Apr 23-25; Seattle, WA, USA; americansurgical.org

126th Congress of the Japan Surgical Society (JSS). Apr 23-25; Sapporo, Japan; jp.jssoc.or.jp ECTES 2026 – 25th Congress of the European Society for Trauma & Emergency Surgery (ESTES). Apr 26-28; Stockholm, Sweden; estes-congress.org ECIO 2026 – European Congress on Interventional Oncology. Apr 26-30; Basil, Switzerland; ecio.org

TIHE 2026 – Tashkent International Healthcare Exhibition. Apr 26-30; Tashkent, Uzbekistan; tihe.uz

The 46th KSCCM Annual Congress ∙ The Korean Society of Critical Care Medicine. Apr 30 - May 1; Busan, Korea; ksccm.org

MAY

EFORT Congress 2026 – 27th Annual Congress of European Federation of National Associations of Orthopaedics and Traumatology. May 4-6; Madrid, Spain; congress.efort.org

MedtecLIVE 2026. May 5-7; Stuttgart, Germany; medteclive.com

ECCC Dubai 2026 – 22nd Emirates Critical Care Conference. May 8-10; Dubai, UAE; eccc-dubai. com

2026 ISMRM & ISMRT Annual Meeting & Exhibition – International Society for Magnetic Resonance in Medicine. May 9-14; Cape Town, South Africa; ismrm.org

APSC Taipei 2026 – 30th Asian Pacific Society of Cardiology Congress. May 14-17; Taipei, Taiwan; apscardio.org

ESTRO 2026 – Annual Congress of the European Society of Radiology & Oncology. May 15-19; Stockholm, Sweden; estro.org

ATS 2026 – International Conference of the American Thoracic Society. May 17-20; Orlando, FL, USA; conference.thoracic.org

SALMED International Medical Fair 2026. May 1920; Poznań, Poland; salmed.pl Hospitalar 2026. May 19-22; Sao Paulo, Brazil; hospitalar.com

KIHE 2026 – 31st Kazakhstan International Healthcare Exhibition. May 20-22; Almaty, Kazakhstan; kihe.kz

SEACare 2026 – Southeast Asian Healthcare & Pharma Show. May 20-22; Kuala Lumpur, Malaysia; sea-healthcare.com

SIIM 2026 – Annual Meeting of the Society for Imaging Informatics in Medicine. May 21-23; Pittsburgh, PA, USA; siim.org

ASCI 2026– 19th Congress of Asian Society of Cardiovascular Imaging. May 21-23; SIngapore; asci-heart.org

94th EAS Congress 2026 – European Atherosclerosis Society. May 24-27; Athens, Greece; eas-society.org

AIUM 2026 Annual Convention – American Institute of Ultrasound in Medicine. Mar 27-30; Philadelphia, PA, USA; aium.org

2026 ASCO Annual Meeting – American Society of Clinical Oncology. May 29 - Jun 2; Chicago, IL, USA; asco.org

JUNE

WHX Lagos 2026. Jun 2-4; Lagos, Nigeria; worldhealthexpo.com

ICE 2026 – 22nd International Congress of Endocrinology. Jun 2-6; Kyoto, Japan; isendo.org

63rd ERA Congress – European Renal Association. Jun 3-6; Glasgow, UK; era-online.org

EuroAnaesthesia 2026 – European Society of Anaesthesiology. Jun 6-8; Rotterdam, The Netherlands; euroanaesthesia.org

ESTS 2026 – 34th Meeting of the European Society of Thoracic Surgeons. Jun 7-9; Athens, Greece; ests.org

ICEM 2026 – 25th International Conference on Emergency Medicine. Jun 9-13; Hamburg, Germany; icem2026.com

ESGAR 2026 – Annual Meeting of the European Society of Gastrointestinal and Abdominal Radiology. Jun 10-12; Montpellier, France; esgar.org

EHA 2026 Congress – European Hematology Association. Jun 11-14; Stockholm, Sweden; ehaweb.org

APSCVIR 2026 – 20th Annual Meeting of the Asia Pacific Society of Cardiovascular and Interventional Radiology. Jun 11-14; Suzhou, China; apscvir2026.com

Africa Health ExCon 2026. Jun 16-18; Cairo, Egypt;.africahealthexcon.com

WHX Miami 2026. Jun 17-19; Miami, FL, USA; worldhealthexpo.com

Medical Taiwan 2026. Jun 25-27; Taipei, Taiwan; medicaltaiwan.com.tw

JULY

CARS 2026 – Computer Assisted Radiology and Surgery. Jun 2-5; Nagoya, Japan; cars-int.org

ESHRE 2026 – 42nd Annual Meeting of the European Society of Human Reproduction and Embryology. Jul 5-8; London, UK; eshre.eu

WHX Bangkok 2026. Jul 8-10; Bangkok, Thailand; worldhealthexpo.com

SCCT 2026 – 21st Annual Scientific Meeting of the Society of Cardiovascular Computed Tomography. Jul 9-12; San Diego, CA, USA; scct.org

APICS 2026 – Asia Pacific Intensive Care Symposium. Jul 10-12; Bali, Indonesia; sg-apics.com

47th Medicall Expo. Jul 24-26; Chennai, India; medicall.in

Meditech International Health Trade Fair. Jul 2831; Bogota, Colombia; feriameditech.com

AUGUST

Indo Health Care 2026. Aug 5-7; Jakarta, Indonesia; indohealthcareexpo.com

Expo Med – Hospitalar Mexico 2026. Aug 18-20; Mexico City, Mexico; expomed.com.mx

Medical Fair China 2026. Aug 20-22; Suzhou, China; medicalfair.cn

AOCR 2026-SGCR WIRES – 24th Asian Oceanian Congress of Radiology & Singapore Congress of Radiology. Aug 20-23; Singapore; theaosr.org

India Health 2026. Aug 21-23; New Delhi, India; indiahealth-exhibition.com

ESC Congress 2026 – European Society of Cardiology. Aug 28-31; Munich, Germany; escardio.org

SEPTEMBER

WHX Nairobi 2026. Sep 2-4; Nairobi, Kenya; worldhealthexpo.com

UAA 2026 – 23rd Congress of the Urological Association of Asia. Sep 3-6; Manila, Philippines; uaa2026.org

ERS Congress 2026 – European Respiratory Soci-

ety. Sep 5-9; Barcelona, Spain; ersnet.org

ISUOG World Congress 2026 – 36th World Congress on Ultrasound in Obstetrics and Gynecology. Sep 6-9; Dubai, UAE; isuog.org

ESRA 2026– 43rd Annual Congress of the European Society of Regional Anaesthesia and Pain Therapy. Sep 9-12; Lisbon, Portugal; esracongress. com

CIRSE 2026 – Annual Congress of the Cardiovascular and Interventional Radiological Society of Europe. Sep 13-17; Barcelona, Spain; cirse.org

Medical Fair India 2026 – Mumbai 32nd Edition. Sep 17-19; Mumbai, India; medicalfair-india.com

REHACARE 2026 – International Trade Fair for Rehabilitation and Care. Sep 23-26; Düsseldorf, Germany; rehacare.com

EUSEM 2026 – European Emergency Medicine Congress. Sep 25-27; Paris, France; eusemcongress.org

ASTRO 2026 – 68th Annual Meeting of the American Society for Radiation Oncology. Sep 26-30; Boston, MA, USA; astro.org

OCTOBER

EUSOBI 2026 - Annual Scientific Meeting of the European Society of Breast Imaging. Oct 1-3; Maastricht, Netherlands; eusobi.org

MICCAI 2026 – 29th International Conference on Medical Image Computing and Computer Assisted Intervention. Oct 4-8; Abu Dhabi, UAE; miccai.org

ACEP26 – Scientific Assembly of the American College of Emergency Physicians. Oct 5-8; Chicago, IL, USA; acep.org

WCAC26 – World Critical Care & Anesthesiology Conference. Oct 9-10; Osaka, Japan; criticalcongress.episirus.org

ECISM LIVES 2026 – Annual Congress of European Society of Intensive Care Medicine. Oct 10-14; Lisbon, Portugal; esicm.org

WHX Cape Town 2026. Oct 13-15; Cape Town, South Africa; worldhealthexpo.com

UEG Week 2026 – United European Gastroenterology. Oct 17-20; Barcelona, Spain; ueg.eu

EANM 2026 – 38th Annual Congress of the European Association of Nuclear Medicine. Oct 17-21; Vienna, Austria; eanm.org

RANZCR 2026 – 76th Annual Scientific Meeting of The Royal Australian and New Zealand College of Radiologists. Oct 22-24; Christchurch, New Zealand; ranzcr.com

ESMO Congress 2026 - European Society for Medical Oncology. Oct 23-27; Madrid, Spain; esmo.org

Fast + Reliable Women’s Health Testing Solutions To Meet Your Needs

Your patients depend on you to provide the best care possible and find solutions for the most uncomfortable situations.

Our high-quality, women’s health rapid tests designed to be accurate and easy to use so you can get results fast. We help you deliver answers and treatment plans getting your patients on the road to recovery fast.

We make diagnostics that matter because we believe each test represents the health and well-being of a real person.

Learn more about our tests for Trichomonas and Bacterial Vaginosis by visiting us online at sekisuidiagnostics.com/womens-health.

Turn static files into dynamic content formats.

Create a flipbook
Issuu converts static files into: digital portfolios, online yearbooks, online catalogs, digital photo albums and more. Sign up and create your flipbook.
HospiMedica International November 2025 by Globetech - Issuu