Medical Market - ATI 2025

Page 1


UMF „Iuliu Hațieganu” Cluj, Disciplina Medicină de Urgență, UPUSMURD Spitalul Clinic Județean de Urgență Cluj Napoca

As. Univ. Dr. Sonia Luka

UMF „Iuliu Hațieganu” Cluj, Disciplina Medicină de Urgență, UPUSMURD Spitalul Clinic Județean de Urgență Cluj Napoca

As. Univ. Dr. Eugenia Lupan-Mureșan

UMF „Iuliu Hațieganu” Cluj, Disciplina Medicină de Urgență, UPUSMURD Spitalul Clinic Județean de Urgență Cluj Napoca

Drd. Dr. Cosmin-Andrei Andrei

Medic Specialist ATI, Clinica ATI I, Spitalul Clinic de Urgență București

Dr. Anita Pop

Medic specialist Pediatrie, Dr. Șt. Med. Instructor ERC/ PADI Adult and Pediatric BLS, clinica.ecaterina@gmail.com

Martin Bikfalvi

Spirocco Digital Hospital Sistem Informatic de Telemedicină Integrată, www.digitalhospital.ro

Consultant medical: Dr. Aurora Bulbuc, medic primar Medicină de familie

Editor Calea Rahovei, nr. 266-268, Sector 5, Bucureşti, Electromagnetica Business Park, Corp 01, et. 1, cam. 4 Tel: 021.321.61.23 e-mail: redactie@finwatch.ro ISSN 2286 - 3443

„Specialitatea de Anestezie și Terapie Intensivă din România este recunoscută și apreciată la nivel mondial, aducând valoare medicinei românești!“ Interviu cu Prof. Univ. Dr. Șerban-Ion Bubenek-Turconi

Deficitul de tiamină în terapie intensivă - o entitate subdiagnosticată cu potențiale implicații clinice majore Drd. Dr. Cosmin-Andrei Andrei, Prof. Univ. Dr. Ioana Marina Grințescu

Ultrasonografia clinică o necesitate pentru a evita erorile în gardă Conf. Univ. Dr. Adela Golea, As. Univ. Dr. Raluca Tat, As. Univ. Dr. Sonia Luka, As. Univ. Dr. Eugenia Lupan-Mureșan

Anestezia regională pentru chirurgia laparoscopică Șef Lucrări Dr. Claudiu Zdrehuș

Telemedicina Integrată în Terapia Durerii Martin Bikfalvi

Când oprim antibioterapia?

Nutriția enterală - componentă cheie în managementul multidisciplinar al pacientului

Copierea fără acordul scris al editurii a oricăror elemente de grafică sau conținut editorial apărute în revistele editurii sunt considerate furt de proprietate intelectuală și intră sub incidența legii.

Trimite email pe adresa redactie@finwatch.ro, solicită un abonament la revista Medical Market şi primeşti 10 puncte EMC.

„Specialitatea

de Anestezie și Terapie Intensivă din

România este recunoscută și apreciată la nivel mondial, aducând valoare medicinei românești!“

În perioada 14 - 18 mai 2025, Sinaia își deschide porțile pentru o nouă ediție a Congresului Național al SRATI.

Cu această ocazie, stăm de vorbă cu domnul Prof. Univ. Dr. Șerban-Ion Bubenek-Turconi, Președinte Congres Național SRATI 2025, Președinte Societatea Română de Anestezie – Terapie Intensivă – SRATI.

An de an, Congresul Naţional al SRATI revine pe scena lumii medicale cu cele mai avansate metode, inovații şi tehnologii care reflectă progresul continuu în anestezie şi terapie intensivă. Vă rugăm să ne comunicați cu ce teme de interes ne întâmpină ediţia din acest an şi ce personalități de marcă ne vor onora cu prezența la acest prestigios eveniment.

Ca în fiecare an, ne dorim ca acest eveniment semnificativ pentru comunitatea medicilor de anestezie și terapie intensivă și nu numai, să fie unul de excepție.

Cu o participare de peste 1200 înscriși, ne bucurăm de 104 speakeri români și 75 speakeri străini care vor împărtăși din cunoștințele și experiența lor pe tot parcursul congresului.

Ne onorează cu prezența vorbitori străini din 22 de țări, printre care aș menționa Arabia Saudită, Austria, Belgia, Elveția, Franța, Germania, Israel, Noua Zeelandă, Olanda, Republica Moldova, Spania, Serbia, SUA și suntem bucuroși că păstrăm această structură a congresului în care aproape jumătate din temele abordate vin din partea speakerilor străini, prestigioși, care fac acest lucru nu numai la congresele lor, dar și la congrese din afara țărilor pe care le reprezintă. În felul acesta reușim să oferim participanților un număr de 53 de sesiuni științifice variate, 6 sesiuni de prezentări orale de medici, 3 sesiuni de prezentări orale de asistenți, 4 sesiuni de e-postere, de asemenea 16 simpozioane satelit de firmă, 6 workshop-uri, un laborator susținut de industrie și un curs în ultima zi a congresului.

În ceea ce privește temele sesiunilor științifice, avem o paletă suficient de largă în cele 53 de sesiuni, astfel încât să acoperim nu numai strict specialitatea noastră de anestezie și terapie intensivă, ci și teme care

sunt în conexiune strânsă cu terapia intensivă și anestezia, cum ar fi, de exemplu, tehnici de simulare și tot ceea ce înseamnă training și educație medicală de înaltă performanță pentru medici și asistenți medicali.

Se vor desfășura, de asemenea, sesiuni dedicate ingineriei medicale în terapie intensivă și anestezie.

Vom organiza și 3 sesiuni omagiale: „Prof. Dr. Dan Tulbure”, „Prof. Dr. George Litarczek”, „Dr. Zorel Filipescu”, organizate în jurul unor vorbitori foarte prestigioși din țară și din străinătate.

Ne bucurăm să avem printre invitați și speakeri pe Președintele în funcție al Societății Europene de Anestezie și Terapie Intensivă (ESAIC), Profesorul Wolfgang Buhre din Olanda. De asemenea, vor fi prezenți patru foști Președinți ai Societății Europene de Anestezie și Terapie Intensivă (ESAIC), Prof. Dr. Zeev Goldik, Prof. Dr. Stefan De Hert, Prof. Dr. Edoardo de Robertis, Prof. Dr. Daniela Filipescu precum și Președintele Societății Europene de Medicină Intensivă (ESCIM), domnul Profesor Jan de Waele. Deci, o reprezentare la cel mai înalt nivel al anesteziei și terapiei intensive din Europa va onora congresul nostru.

Doresc să mentionez că doamna Profesor Daniela Filipescu este Președintele în funcție a Societății Mondiale de Anestezie (WFSA) și, bineînțeles, este unul dintre speakerii de valoare ai acestui congres, ca întotdeauna, întregind această paletă a colegilor care au funcții de conducere și de reprezentare la nivelul societăților din Europa și nu numai. Sigur că sesiunile pe care le organizăm vor fi totdeauna moderate atât de personalități din România cât și de moderatori străini.

Limba oficială a congresului este limba engleză, motiv pentru care, în plus față de calitatea extraordinară a speakerilor, a temelor alese, face ca acest congres să fie acreditat de Societatea Europeană de Anestezie și Terapie Intensivă și de Uniunea Europeană a Medicilor Specialiști, (UEMS) singura organizație medicală ce interacționează direct cu Parlamentul European și cu toate celelalte instituții europene.

Vom oferi, de asemenea, și premii speciale pentru lucrările și posterele prezentate în cursul congresului. Printre premiile importante ce vor fi oferite se numără premiul special „Academician Prof. Dr. George Litarczek”, care se adresează numai medicilor sub 45 de ani cu publicații relevante în revistele internaționale, care au publicat și cărți în perioada ianuarie-decembrie 2024. De asemenea, vom acorda premiul special „Prof. Dr. Dan Tulbure”, pentru cea mai bună lucrare originală de cercetare, care constă într-o taxă de participare la Congresul Mondial de Anestezie de anul viitor, precum și premiul „Prof. Dr. Șerban Marinescu” pentru cea mai bună prezentare de caz.

Pe lângă acestea, vor fi premiate atât prezentările de caz, cât și e-posterele. Toți autorii lucrărilor care vor fi premiate la Congresul Național SRATI 2025 sunt invitați să publice rezultatele cercetărilor lor în orice revistă care este indexată Pub-Med, inclusiv Jurnalul Societății Române de

Anestezie și Terapie Intensivă și Jurnalul de Terapie Intensivă de la Târgu Mureș.

Deci, vizăm și o continuare a rezultatelor în educație și cercetare pe care le dobândim la acest congres, prin încurajarea tuturor autorilor și formatorilor să iși publice rezultatele pe care le obțin în cercetarea științifică și în educația medicală continuă. Împreună cu senatul SRATI, ați făcut Ministerului Sănătății o serie de propuneri de măsuri, reforme, care să conducă la bunul mers al secțiilor de ATI. Cum au evoluat lucrurile față de anul trecut?

Nu au evoluat aproape deloc, pentru că nu s-a întâmplat nimic cu modificările la Ordinul MS 1500/2009 pe care le-am cerut încă din anul 2020. În continuare a rămas nereglementată problema administrării anesteziei în cabinetele de stomatologie, deși există un protocol între Societatea Română de Anestezie și Terapie Intensivă și Colegiul Medicilor Stomatologi. Știm exact ce avem de făcut împreună și știm cum trebuie să acționăm ca să nu se mai întâmple accidentele petrecute în trecut, cu rezultate absolut nefericite. Dar aceste norme nu au fost încă aprobate. Din păcate, nici celelalte modificări din Ordinul MS 1500/2009 pe care le cerem insistent din anul 2019, printre care redefinirea anexei ce cuprinde structura de personal din Secțiile de Terapie Intensivă, modificări ale clasificarii Secțiilor de Terapie Intensivă, posibilitatea existenței unor secții doar de terapie intensivă în spitalele de boli infecțioase și așa mai departe. Niciuna dintre aceste modificări, care nu aveau un impact financiar imediat, major, dar nu au fost luate în discuție de Ministerul Sănătății și nu s-au tradus prin adoptare și publicare în Monitorul Oficial. Nu abandonăm această luptă, dusă pentru creșterea calității serviciilor medicale în Secțiile de ATI dar și pentru sporirea siguranței pacienților care ajung în Secțiile de Anestezie și Terapie Intensivă și, bineînțeles, nu în ultimul rând, pentru siguranța colegilor noștri medici, asistente și personal auxiliar care lucrează în Secțiile de Anestezie și Terapie Intensivă. Totuși, un pas înainte a fost făcut. Societatea Română de Anestezie și Terapie Intensivă (SRATI), împreună cu Instituția Avocatului Poporului, a lucrat în ultimele șase luni, la un proiect de lege care vizează norme de aplicare pentru situațiile pacienților foarte gravi din Secțiile de ATI, cu speranță redusă de viață, cărora trebuie să li se

ofere aceleași condiții și aceeași considerație în acord cu sistemele de sănătate din țările europene la care noi dorim să ne raportăm. Deci, după modelul legilor din Franța și Italia, am discutat cu colectivul ce deservește Oficiul Avocatului Poporului și avem o schiță de lege care trebuie întâi aprobată de Senatul SRATI în cursul acestui congres și ulterior, în Parlamentul României. Aici ne bucurăm de sprijinul deplin al doamnei senator Prof. Dr. Carmen Orban și a domnului deputat Dr. Alexandru Rogobete, care, fiind și medici de anestezie și terapie intensivă sunt la curent cu toate aceste zbateri ale corpului medical pentru a oferi niște condiții cât mai civilizate pacienților, aparținătorilor și celor care îngrijesc pacienții în stare terminală și care sunt convins că vor depune toate eforturile pentru un rezultat demn de o țară europeană în secolul XXI.

Rămâne de discutat în ce măsură ne vom implica mai departe în viitoare proiecte de amendare și modificare a legii malpraxis precum și niște proiecte de lege care vizează amendarea legilor despre expertiza medico-legală și expertiza medicală de specialitate care trebuie să însoțească expertiza efectuată de medicul legist. Deja primele discuții cu colegii noștri de la medicină legală au fost fructuoase și căutăm să găsim cele mai bune formule de cooperare și de adaptare a acestui tip de expertiză la necesitățile europene, așa cum cer ghidurile europene de medicină legală și de expertiză medicală. Sunteți dedicat susținerii personalului din secțiile ATI şi mai ales al asistenților în anestezie şi terapie intensivă. Cum decurge proiectul propus Ministerului Investițiilor şi Proiectelor Europene de susținere a colegilor asistenți ATI?

Am încheiat în urmă cu un an un proiect foarte ambitios, proiectul EXTRAVITAL, în care am instruit peste 600 de asistenți medicali din terapie intensivă în tehnici de epurare extracorporeală și în tehnici de asistare circulatorie, însă trebuie să recunoaștem că una dintre problemele pe care le avem este lipsa unei calificări unitare, uniforme, la nivel național, a asistenților care lucrează în secțiile de anestezie și terapie intensivă. Această problemă nu o poate rezolva doar SRATI singură, mai ales că în 35 de ani de la căderea regimului comunist, instituțiile care ar fi trebuit și aveau atribuții nu au făcut nimic în acest sens.

În ultimii ani, Universitățile de Medicină și Farmacie au reușit să continue totuși o pregătire de specialitate. Au apărut noi generații de asistenți specialiști în radiologie, în sterilizare, dar din păcate în specialitatea noastră nu avem mai mult de un master care a funcționat la un moment dat la Cluj pentru 2 ani de zile. În prezent nu există un program uniform național de specializare a asistentilor medicali în anestezie și terapie intensivă.

Activitatea de terapie intensivă, de la an la an, devine mai complicată, apar tehnici noi, medicamente noi, manevre și tehnici de îngrijire noi. Asistenții, care au absolvit o școală sanitară, nu au noțiuni de terapie intensivă și de anestezie, formându-se la locul de muncă. Această formare în mod evident nu este uniformă pentru că e realizată în funcție de disponibilitatea corpului medical de anestezie și terapie intensivă din spitalele respective, de experiența lor, de dedicarea lor, de posibilitatea de a oferi educație medicală de bună calitate.

Acum în 2025, încercăm ca, printr-un proiect ambițios, cu fonduri europene, în care sunt parteneri SRATI, OAMMR și Universitățile de Medicină tradiționale, un proiect despre care chiar am discutat și l-am schițat zilele trecute și are aprobarea senatului SRATI și OAMMR-ului. Dorim să școlarizăm 1000 de asistenți de anestezie și terapie intensivă într-o perioadă de 36 de luni. Proiectul se bazează pe cursuri pentru pregătire teoretică, apoi pregătire practică atât în laboratoare de simulare, cât și la patul bolnavului. Pregătirea se va face cu ajutorul partenerilor în acest program european, care sunt universitățile tradiționale de medicină din București, Iași, Cluj, Timișoara, Târgu Mureș și Craiova. Momentan, suntem în faza de depunere a acestui proiect (până la sfârșitul lunii iunie 2025), și sperăm să-l câștigăm. La sfârșitul instruirii asistenților care lucrează în terapie intensivă, se va obține o microcertificare. Microcertificarea, un demers recent legiferat în România, urmează o tradiție europeană în a oferi o competență limitată, dar bazată pe o pregătire serioasă în câteva domenii importante ale unei specialități. Deținătorul unui astfel de microcertificat are dreptul de a lucra în secțiile de ATI fără a mai recurge la pernicioasa „calificare la locul de muncă” impusă pe vremea regimului comunist și ale cărei consecințe dezastroase ne urmăresc și astăzi, în diverse domenii, la mai bine de 35 de ani de la dispariția opresiunii.

nutrițional la o decompensare metabolică rapidă, în absența suplimentării corespunzătoare. Toate aceste elemente contribuie la un tablou clinic frecvent, dar subdiagnosticat, în care identificarea pacienților cu risc și inițierea precoce a terapiei specifice pot preveni complicațiile severe. Implicațiile clinice ale deficitului de tiamină

Deficitul de tiamină are un impact sistemic sever asupra acestor pacienți, alterând funcții esențiale ale proceselor de homeostazie energetică. Pe plan metabolic, lipsa tiaminei duce la inhibarea ciclului Krebs și blocarea respirației celulare aerobe, cu creșterea compensatorie a metabolismului anaerob și acumularea lactatului. Acest mecanism contribuie la hiperlactatemia refractară și la acidoză metabolică, fenomene des întâlnite în stările de șoc, ce pot face diagnosticul diferențial mai dificil. Pe plan cardiovascular, deficitul de tiamină poate induce insuficiență cardiacă acută (beri-beri umed), determinând tahicardie, hipotensiune și răspuns ineficient la vasopresoare. Pe plan neurologic pot apărea encefalopatie Wernicke, delir, confuzie, agitație psihomotorie și, în cazurile cronice, sindrom Korsakoff. Lipsa unei identificări și corecții precoce a carenței de tiamină poate compromite recuperarea și prelungi durata de ventilație mecanică și de spitalizare, de asemenea poate crește mortalitatea. Abordarea proactivă pentru identificarea acestei carențe ar trebui să devină o componentă standard a evaluării și tratamentului pacientului critic.

Tiamina în sepsis și șoc septic: dovezi și controverse În contextul sepsisului și socului septic deficitul de tiamină devine deosebit de relevant din cauza creșterii necesarului energetic, tiamina fiind esențială pentru metabolismul glucozei, iar absența sa contribuie la acumularea de lactat și la epuizarea resurselor energetice celulare. Tiamina este implicată în restaurarea funcției mitocondriale și în controlul stresului oxidativ, ambele fiind profund afectate în sepsis. Unele studii au sugerat faptul că administrarea precoce de tiamină poate îmbunătăți clearance-ul lactatului și poate reduce numărul de zile de spitalizare în terapie intensivă. Alte cercetări, inclusiv trialuri randomizate, nu au demonstrat efecte semnificative asupra mortalității sau a necesarului inițiere a terapiei de epurare renală. Terapia combinată HAT (hidrocortizon, acid ascorbic și tiamină) a generat inițial un entuziasm considerabil

și a fost intens studiată. Deși unele date au sugerat beneficii în reducerea scorului SOFA sau a necesarului de vasopresoare, meta-analizele recente nu susțin beneficiul consistent asupra supraviețuirii globale a acestor pacienți. Deși utilizarea tiaminei în sepsis are un raționament fiziopatologic solid, dovezile actuale nu susțin încă utilizarea sa de rutină la toți pacienții cu sepsis sau șoc septic, ci este necesară mai degrabă o abordare țintită, bazată pe prezența factorilor predispozanți și a contextului clinic. Nutriția în terapie intensivă și sindromul de realimentare

Managementul nutrițional al pacienților critici este adesea complex și esențial pentru evoluția favorabilă a acestora. Pacienții cu restricții alimentare prelungite, subnutriți sau aflați în perioada de recuperare după o insultă inflamatorie majoră (traumă, arsuri, șocuri de diverse etiologii) sunt deosebit de susceptibili la sindromul de realimentare („refeeding syndrome”). Acest sindrom este caracterizat prin apariția bruscă a dezechilibrelor electrolitice, în special hipofosfatemie, hipomagnezemie și hipokaliemie, în contextul reluării aportului caloric. Aceste modificări sunt rezultatul unei tranziții metabolice către anabolism, care duce la consumul rapid al unor cofactori esențiali, printre care și tiamina. În lipsa suplimentării adecvate, carența de tiamină poate deveni acută și se poate manifesta prin acidoză lactică, encefalopatie sau insuficiență cardiacă. Ghidurile ESPEN recomandă administrarea preventivă de tiamină (în doza de 100–300 mg/zi intravenos) înainte de inițierea nutriției parenterale sau enterale, la pacienții cu risc crescut de refeeding. Identificarea timpurie a acestor pacienți, precum și implementarea unei strategii nutriționale graduale și echilibrate, sunt esențiale pentru prevenirea complicațiilor severe. Considerații privind diagnosticul și monitorizarea

Diagnosticul deficitului de tiamină în terapie intensivă este dificil din cauza lipsei semnelor clinice specifice și a accesului limitat la metode de laborator standardizate. Măsurarea directă a nivelului de tiamină pirofosfat prin cromatografie lichidă de înaltă performanta (HPLC) este considerată metodă de referință, însă este rară în practica clinică curentă. Alte metode, precum determinarea activității transketolazei eritrocitare sau a coeficientului său de activare, pot oferi indicii indirecte, dar sunt dificil de implementat și interpretat în unitățile de

terapie intensivă. În acest context, diagnosticul se bazează în mare parte pe evaluarea riscului clinic și pe răspunsul la tratamentul empiric. Monitorizarea clinică a pacientului cu risc include observarea nivelurilor de lactat, a răspunsului la suportul vasopresor, evoluția statusului neurologic și urmărirea parametrilor metabolici. În absența unor markeri specifici și ușor accesibili, o atitudine proactivă, cu suplimentare preventivă în populațiile vulnerabile, rămâne strategia preferată pentru evitarea consecințelor severe ale deficitului de tiamină. Concluzii și perspective

Deficitul de tiamină în terapia intensivă este frecvent, dar subdiagnosticat, și are un potențial impact asupra prognosticului pacientului critic. Deși dovezile clinice sunt heterogene, suplimentarea empirică, mai ales la pacienții cu risc crescut, este o intervenție simplă, sigură și cu potențial benefic asupra prognosticului. Sunt necesare studii clinice riguroase pentru clarificarea dozelor optime, a duratei tratamentului și a populațiilor care ar beneficia cel mai mult. Până atunci, clinicianul ar trebui sa adopte principiul: „mai bine prevenim decât să tratăm prea târziu”, cu toate că este vorba despre o vitamină aparent banală.

Referințe

1. Gundogan K, Sahin GG, Ergul SS, et al. Evaluation of whole blood thiamine pyrophosphate concentrations in critically ill patients receiving chronic diuretic therapy prior to admission to Turkish intensive care units: a pragmatic, multicenter, prospective study. J Crit Care 2023; (77):154326.

2. Costa NA, Pereira AG, Sugizaki CSA, et al. Insights into thiamine supplementation in patients with septic shock. Front Med 2022; 8:805199.

3. Blakeslee PA, Hyrkas K. Impact of supplemental thiamin on lactate levels in adults with septic shock. Nutr Clin Pract 2023; 38:580–601.

4. Karimi E, Gholizadeh M, Abdolahi M, et al. Effect of vitamin B1 supplementation on blood creatinine and lactate levels and clinical outcomes in patients in intensive care units: a systematic review and meta-analysis of randomized controlled trials. Nutr Rev 2023; nuad096; doi: 10.1093/nutrit/nuad096.

5. Zhang L, Zhang F, Li S, et al. Thiamine supplementation may be associated with improved prognosis in patients with sepsis. Br J Nutr 2023; 130:239–248.

6. Berger MM, Shenkin A, Schweinlin A, et al. ESPEN micronutrient guideline. Clin Nutr 2022; 41:1357–1424

7. Gayathri Ranie AP, Daga MK, Mawari G, et al. Effect of supplementation of vitamin c and thiamine on the outcome in sepsis: south east Asian region. J Assoc Physicians India 2022; 70:31–36.

8. Lyu QQ, Zheng RQ, Chen QH, et al. Early administration of hydrocortisone, vitamin C, and thiamine in adult patients with septic shock: a randomized controlled clinical trial. Crit Care 2022; 26:295.

9. Zayed Y, Alzghoul BN, Banifadel M, et al. Vitamin C, thiamine, and hydrocortisone in the treatment of sepsis: a meta-analysis and trial sequential analysis of randomized controlled trials. J Intensive Care Med 2022; 37:327–336.

Haemocomplettan P 1g pulbere pentru soluție injectabilă/perfuzabilă. Produsul conține 20 mg/ml brinogen uman, după reconstituire cu 50 ml apă pentru preparate injectabile pentru Haemocomplettan P 1g. Indicații terapeutice: Pentru terapia și pro laxia diatezelor hemoragice ca tratament de substituție în hipo brinogenemie, dis brinogenemie sau a brinogenemie congenitală la pacienții cu tendință la sângerare, pentru pro laxia preoperatorie; ca terapie adjuvantă pentru tratamentul sângerărilor care pot pune viața în pericol în caz de hipo brinogenemie dobândită cum sunt următoarele condiții: hipo brinogenemie de diluție în cazul pacienților cu traumatisme și pierderi severe de sânge, tulburări ale sintezei factorilor de coagulare, de exemplu: distrugerea marcată a parenchimului hepatic cu de cit de brinogen consecutiv, creșterea consumului de brinogen asociat cu alte tipuri de sângerări necontrolate terapeutic, care pot pune viața în pericol, în caz de sindrom de coagulare intravasculară diseminată și în caz de hiper brinoliză. Doze și mod de administrare: Tratamentul trebuie inițiat sub supravegherea unui medic specializat în terapia tulburărilor de coagulare. Dozele și durata terapiei de substituție depind de severitatea tulburării, localizarea și extinderea sângerării, precum și de statusul clinic al pacientului. Doza de brinogen (g) = nivelul dorit (g/l) - nivelul de bază (g/l)x1/0,017 (g/l / g/kg) x greutatea corporală (kg). Viteza de injectare sau perfuzie nu trebuie să depășească 5 ml/min. Contraindicații: Hipersensibilitate la substanța activă sau la oricare dintre excipienții enumerați la punctul 6.1 din RCP. Tromboză manifestă sau infarct miocardic, cu excepția hemoragiilor care pot pune viața în pericol. Atenționări speciale: În cazul în care apar reacții alergice sau de tip ana lactic, injectarea sau perfuzarea trebuie oprite imediat. În caz de șoc ana lactic se inițiază tratamentul standard al șocului. Reacții adverse: Rar s-au observat reacții alergice sau de tip ana lactic (precum urticarie generalizată, rash, scăderea presiunii sanguine), creșterea temperaturii corporale și foarte rar s-au observat episoade tromboembolice, incluzând infarctul miocardic și embolismul pulmonar. Grupa farmacoterapeutică: antihemoragice, brinogen uman, codul ATC: B02BB01. Perioada de valabilitate: 5 ani. Stabilitatea zico-chimică a soluției reconstituite a fost demonstrată pentru 8 ore la temperatura camerei (max. +25 °C). Precauții speciale pentru păstrare: A se păstra la frigider (2 °C-8 °C). A nu se congela! A se păstra aconul în cutie pentru a protejat de lumină. Deținătorul autorizației de punere pe piață: CSL Behring GmbH, Emil-von-Behring-str. 76, 35041 Marburg, Germania. Numărul APP - 7708/2015/01, 28.05.2015. Pentru mai multe informații, consultați rezumatul caracteristicilor produsului medicamentos (varianta revizuită în ianuarie 2020). Medicament eliberat pe bază de prescripție medicală PR.

Haemocomplettan P 1g pulbere pentru soluție injectabilă/perfuzabilă. Produsul conține 20 mg/ml brinogen uman, după reconstituire cu 50 ml apă pentru preparate injectabile pentru Haemocomplettan P 1g. Indicații terapeutice: Pentru terapia și pro laxia diatezelor hemoragice ca tratament de substituție în hipo brinogenemie, dis brinogenemie sau a brinogenemie congenitală la pacienții cu tendință la sângerare, pentru pro laxia preoperatorie; ca terapie adjuvantă pentru tratamentul sângerărilor care pot pune viața în pericol în caz de hipo brinogenemie dobândită cum sunt următoarele condiții: hipo brinogenemie de diluție în cazul pacienților cu traumatisme și pierderi severe de sânge, tulburări ale sintezei factorilor de coagulare, de exemplu: distrugerea marcată a parenchimului hepatic cu de cit de brinogen consecutiv, creșterea consumului de brinogen asociat cu alte tipuri de sângerări necontrolate terapeutic, care pot pune viața în pericol, în caz de sindrom de coagulare intravasculară diseminată și în caz de hiper brinoliză. Doze și mod de administrare: Tratamentul trebuie inițiat sub supravegherea unui medic specializat în terapia tulburărilor de coagulare. Dozele și durata terapiei de substituție depind de severitatea tulburării, localizarea și extinderea sângerării, precum și de statusul clinic al pacientului. Doza de brinogen (g) = nivelul dorit (g/l) - nivelul de bază (g/l)x1/0,017 (g/l / g/kg) x greutatea corporală (kg). Viteza de injectare sau perfuzie nu trebuie să depășească 5 ml/min. Contraindicații: Hipersensibilitate la substanța activă sau la oricare dintre excipienții enumerați la punctul 6.1 din RCP. Tromboză manifestă sau infarct miocardic, cu excepția hemoragiilor care pot pune viața în pericol. Atenționări speciale: În cazul în care apar reacții alergice sau de tip ana lactic, injectarea sau perfuzarea trebuie oprite imediat. În caz de șoc ana lactic se inițiază tratamentul standard al șocului. Reacții adverse: Rar s-au observat reacții alergice sau de tip ana lactic (precum urticarie generalizată, rash, scăderea presiunii sanguine), creșterea temperaturii corporale și foarte rar s-au observat episoade tromboembolice, incluzând infarctul miocardic și embolismul pulmonar.

Grupa farmacoterapeutică: antihemoragice, brinogen uman, codul ATC: B02BB01. Perioada de valabilitate: 5 ani. Stabilitatea zico-chimică a soluției reconstituite a fost demonstrată pentru 8 ore la temperatura camerei (max. +25 °C). Precauții speciale pentru păstrare: A se păstra la frigider (2 °C-8 °C). A nu se congela! A se păstra aconul în cutie pentru a protejat de lumină. Deținătorul autorizației de punere pe piață: CSL Behring GmbH, Emil-von-Behring-str. 76, 35041 Marburg, Germania. Numărul APP - 7708/2015/01, 28.05.2015. Pentru mai multe informații, consultați rezumatul caracteristicilor produsului medicamentos (varianta revizuită în ianuarie 2020). Medicament eliberat pe bază de prescripție medicală PR.

Distribuit în România prin: Prisum Healthcare SRL

Distribuit în România prin: Prisum Healthcare SRL Clădirea Globalworth Square, Str. Gara Herăstrău nr. 6, et. 3 Sector 2, București, 020334

Clădirea Globalworth Square, Str. Gara Herăstrău nr. 6, et. 3

Tel.: 021.322.01.71/72, Fax: 021.321.70.64

Sector 2, București, 020334

Tel.: 021.322.01.71/72, Fax: 021.321.70.64

E-mail: office@prisum.ro www.prisum.ro

E-mail: office@prisum.ro www.prisum.ro

Ultrasonografia clinică o necesitate pentru a evita erorile în gardă

Activitatea medicală în gardă este supusă presiunii timpului, a resurselor limitate din punct de vedere al personalului medical, al posibilității de realizare a echipelor interdisciplinare și a explorărilor paraclinice. În acest context această activitate este supusă unor erori de tipul: erori de triaj, erori de comunicare pacient-personal medical și între personalul medical implicat, diagnostic eronat sau tardiv, performanță improprie a procedurilor, terapie tardivă, erori de medicație, erori decizionale cu trimiterea acasă a unor urgențe prin nedecelarea riscului de evoluție nefavorabilă, erori la testele de laborator, monitorizare insuficientă. Frecvent erorile diagnostice se datorează prezentării clinic atipice, supraaglomerării, lipsei de experiență în cazul bolilor cu frecvență redusă, rezultatelor fals pozitive/negative ale testelor de laborator. În aceste situații algoritmele și instrumentele de lucru standardizate sunt utile pentru a elimina erorile cu impact pe supraviețuirea pacientului. Examinările de tip „point of care“ reprezintă instrumente care decelează rapid anumite patologii critice și ajută la obținerea precoce a unor informații diagnostice pentru luarea de decizii.

UConf. Univ. Dr. Adela Golea

UMF „Iuliu Hațieganu” Cluj, Disciplina Medicină de Urgență, UPU-SMURD Spitalul

Clinic Județean de Urgență Cluj Napoca

As. Univ. Dr. Raluca Tat

UMF „Iuliu Hațieganu” Cluj, Disciplina

Medicină de Urgență, UPU-SMURD Spitalul

Clinic Județean de Urgență Cluj Napoca

As. Univ. Dr. Sonia Luka

UMF „Iuliu Hațieganu” Cluj, Disciplina

Medicină de Urgență, UPU-SMURD Spitalul

Clinic Județean de Urgență Cluj Napoca

As. Univ. Dr. Eugenia Lupan-Mureșan

UMF „Iuliu Hațieganu” Cluj, Disciplina Medicină de Urgență, UPU-SMURD Spitalul

Clinic Județean de Urgență Cluj Napoca

ltrasonografia de tip POCUS („point of care ultrasound“ sau „bedside ultrasound“) este o investigație imagistică ce poate fi integrată în examenul clinic al pacientului, reprezentând un instrument de tip „sonostetoscop sau stetoscop vizual“ care poate facilita identificarea unor modificări fără expresie clinică sau cu tablou pa-

ucisimptomatic. POCUS a fost introdusă în anii 1960 și a devenit rapid un instrument util, care dă informații binare. US (ultrasonografia) se efectuează rapid, în câteva minute, având ca și scop identificarea focală, direcționată a unor modificări morfologice sau funcționale, putând fi suport pentru algoritme decizionale de tip rule on/rule out[1,2]

Se descriu astfel situații clinice critice în care se utilizează POCUS ca spre exemplu dispneea, șocul/hipotensiunea nediferențiate, stopul cardiac, durerea toracică, trauma toracică sau politrauma, sau situații noncritice care necesită uneori decizii chirurgicale de tipul durerii abdominale, distensiei abdominale, icterului, edemului asimetric de membru[2] Colegiul American al Medicilor de Urgență (ACEM) a descris în 2008[3]: a. Aplicațiile de bază (core application): trauma, sarcina, anevrismul de aortă abdominală, cardiac, toracic, biliar, tract urinar, tromboza venoasă profundă, țesuturi moi și musculoscheletal, ocular, ecoghidare proceduri;

b. Aplicațiile clinice funcționale și scopul intervenției medicului de urgență: resuscitarea cu scop de stabilizare; diagnostic și ultrasonografia ghidată de semn/simptom cu scopul efectuării diagnosticului diferențial; terapeutic și de ghidare ultrasonografică a procedurilor cu scop de a monitoriza pacientul. Astfel POCUS poate fi introdusă în algoritmii clinico-decizionali pentru evi-

tarea următoarelor erori în practica medicilor de urgență și a altor specialități în gardă: diagnostic eronat sau tardiv, performanță improprie a procedurilor, terapie tardivă, erori de medicație, erori decizionale cu trimiterea acasă a unor urgențe prin nedecelarea riscului de evoluție nefavorabilă, monitorizare insuficientă.

Primele obiective ale utilizării POCUS în gardă sunt legate de pacientul critic sau a urgențelor medico-chirurgicale atraumatice în fața cărora trebuie să răspundem la mai multe întrebări pentru a lua decizii rapide[4]:

a. Legate de identificarea cauzelor:

I. Cum poate ecografia la pat ajuta la diferențierea tipului de șoc în departamentul de urgență?

II. Cum pot fi folosite ultrasunetele la pat să evalueze inima și VCI?

III. Cum pot fi folosite ultrasunetele la pat să evalueze abdomenul?

IV. Cum pot fi folosite ultrasunetele la pat să evalueze plămânii și pleura?

V. Cum pot ajuta ultrasunetele la pat să ghideze resuscitarea?

b. Legate de posibilitatea de management:

I. Cum poate identifica ecografia pacienții ce necesită asistență rapidă în spitale de specialitate sau regionale, cu asigurarea unui transfer rapid?

c. Analiza erorilor prin debriefing de caz după asistarea acestuia, aspect destul de rar întâlnit în practica zilnică, dar care ar conduce la îmbunătățirea actului medical, creșterea calității prin așa

zisa metodă a „evidențelor sau lecțiilor învățate din practică“.

I. Cum poate ecografia evita erorile diagnostice și terapia tardivă?

II. Cum poate ecografia evita erorile de monitorizare și identificare rapidă a

Cum procedăm în practica clinică: evaluăm rapid ABCDE (airway-breathing-circulation-dissability-enviroment) pacientul pentru a evidenția elementele critice, evaluând parametrii vitali respiratori și hemodinamici; examinăm clinic și începem să gândim pe baza

algoritmilor cunoscuți empiric la niște suspiciuni diagnostice, efectuând un plan de investigații și de măsuri terapeutice inițiale care să susțină funcțiile vitale ale pacientului sau să remită simptomatologia de impact (analgezie, antiemetice, reumplere volemică, etc.). Dacă avem la dispoziție un aparat de ultrasonografie putem insera examinarea US ghidată clinic ca să manageriem precoce diagnosticul și terapia pacienților, răspunzând la întrebările menționate mai sus.

Astfel POCUS poate

fi utilizată în gardă pentru: a.I Cum poate ecografia la pat ajuta la diferențierea tipului de șoc în departamentul de urgență?

▶ Evaluarea pierderilor de volum: externe cuatificabile: administrarea de diuretice, vasodilatatoare; ultrasonografic prezența colecțiilor la nivelul seroaselor, retroperitoneului sau la nivelul tubului digestiv;

▶ Evaluarea aspectului de supraîncărcare volemică necesită monitorizare minim invazivă frecvent inexistenă în serviciile de urgență sau camera de gardă, dar ultrasonografia poate prin vizualizarea pulmonară, vasculară, cardiacă să identifice semne specifice și permite luarea deciziei terapeutice de administrare de diuretice sau vasoactive, inotrope.

▶ Introducerea algoritmului de investigare a pacientului cu hipotensiune/ șoc RUSH (PUMP-TANK-PIPE) după cum urmează și luarea unor decizii bazate pe evidențe suport: o cordul („PUMP“)

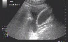
• identificarea sacului pericardic, a colecțiilor pericardice și impactul de tip tamponadă (fig.1) cu risc de activitate electrică fără puls – necesitatea pericardiocentezei într-un serviciu de cardiologie-chirurgie cardiovasculară;

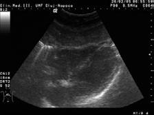
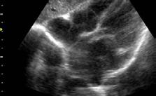
• contractilitatea globală a ventriculului stâng, identificând mărimea și statusul contractil – prezența unei insuficiențe cardiace acute (fig.2) cu necesitatea administrării medicației diuretice, inotrope, vasoactive în funcție de parametrii hemodinamici și corelarea cu aspectul plămânului și a venei cave; vizualizarea unui ventricul stâng hiperkinetic, cu reducerea volumui cavității (fig.3) ceea ce indică corelat cu aspectul VCI cu diametru redus (fig.4) o stare de hipovolemie ce necesită administrarea de fluide;

Fig.9. Pseudoanevrism aortic Fig.10. Anevrism aortic trombozat
Fig.11. Tromboză venă femurală dreaptă
Fig.1. Secțiune subxifoidiană. Colecție pericardică. Cavități cardiace drepte colabate. Ventricul stâng cavitate redusă
Fig.2. Secțiune subxifoidiană. Cord dilatat. Perete ventricul stâng redus în dimensiuni
Fig.3. Secțiune subxifoidiană. Cord hiperkinetic (cavități reduse)
Fig.4. Secțiune intercostală dr. venă cavă inferioară
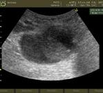
Fig.5. Secțiune subxifoidiană. Cord drept dilatat
Fig.6. Secțiune intercostală dreaptă. Colecție pleurală masivă. Atelectazie pulmonară de compresiune
Fig.7. Secțiune intercostal drept. Colecție Spațiul Morrison
Fig.8. Secțiune longitudinală suprapubiană Colecție recto-vezicală

Echipament ce permite monitorizarea continuă cantitativă a blocului neuromuscular.

Măsoară automat TOF Ratio, TOF Count, Post Tetanic Count (PTC)

Echipamentul permite stimularea de nervi periferici și măsoară răspunsul electromiografic (EMG)

Ecran touchscreen

Permite monitorizarea reversiei

blocului neuromuscular reducând riscul de evenimente adverse ș i reducând costurile unităţii medicale.

Producător: Blink Device Company (SUA)

Referință Canal ulnar

Împământare

EMG 1 & 2 AP, FDI

Stimulare Ulnar

Stimulare Tibial posterior

EMG 1 & 2 FHB Împământare

Referință Maleolă medială

TOF = Serie de patru impulsuri; PTC = Calcul posttetanic Raport TOF = T4/T1 măsurat de TwitchView MCI = Masă corporală ideală; MCT = Masă corporală totală

Ghid pentru inversarea Rocuronium și Vecuronium

Nivel de blocare neuromusculară Agent de inversare / Doza

(Interval) Inversare Roc și raport TOF 90% Recuperare: raport TOF ≥ 90%

Minimal: 40% ≤ raport TOF < 90% Neostigmina 20 mcg/kg + glicopirolat (MCI) 6 (4-9) min Neostigmina 50 mcg/kg +

Superficial: 0 < raport TOF < 40%

Moderat: Calcul TOF 2-3

2 mg/kg (MCT)

2 mg/kg (MCT)

Moderat: Calcul TOF 1 Sugammadex 2-4 mg/kg (MCT)

Profund: Calcul TOF 0 & PTC ≥1

4 mg/kg (MCT)

(.9-5,4) min

(1,2-16,1) min

• aprecierea mărimii ventriculului stâng comparativ cu cel drept – identificarea unei supraîncărcări a ventriculului drept, cu suspiciunea de cord pulmonar acut (fig.5) și necesitatea de administrare de trombolitic pentru trombembolism pulmonar;

o volumul sanguin („TANK“)

• VCI, vena jugulară internă, cu aprecierea statusului volemic intravascular prin aprecierea mărimii venei cave inferioare și a dinamicii respiratorii a acesteia; diametrul redus și colapsul peste 50% în inspir denotă hipovolemie și necesitatea administrării de fluide, primul bolus de 20-30 ml/Kgc, apoi cu reevaluare în dinamică a aspectului;

• se apreciază de asemenea plămânul, cavitatea pleurală (fig.6) și peritoneală (fig.7, 8) care pot compromite volumul vascular prin anumite patologii acute de tip „pierdere de fluide – loss of fluid from the tank”; prezența colecției pleurale asociată cu colapsul parenchimului pulmonar și reducerea bronhogramei aerice indicând necesitatea drenajului pleural; prezența colecțiilor peritoneale necesită evaluarea prin puncție ecoghidată a aspectului pentru decizie terapeutică, indicație chirurgicală sau trimiterea spre o investigație imagistică de tip computer tomograf; o conținutul intravascular („PIPES“)

• trombi, disecții prin examinarea arterelor și venelor mari pentru identificarea modificărilor de tip: anevrism aortic (fig.9) cu disecție, pseudoanevrism aortic (fig.10), efracție de perete cu hemoretroperitoneu; situații în care este necesară trimiterea rapidă spre un serviciu de chirurgie cardiovasculară și imagistică de tip computer tomograf, cu susținerea hemodinamică a pacientului;

• prezența trombozei venoase la nivel femural și popliteal (fig.11) ceea ce necesită investigarea semnelor de cord pulmonar acut și tratament anticoagulant sau trombolitic.

Se observă astfel că POCUS identifică rapid anumite elemente morfopatologice suport pentru decizii terapeutice sau manageriale de transfer al pacientului spre servicii specializate care îl pot asista.

a.II. Cum pot fi folosite ultrasunetele la pat să evalueze abdomenul?

Ultrasonografia poate identifica la nivel abdominal situații ce necesită in-

tervenție chirurgicală de tipul: colecistitei acute, perforației digestive cu pneumoperitoneu, apendicitei acute, ocluziei intestinale sau sarcinii extrauterine rupte. Alte situații ce necesită managment de urgență sunt: icterul mecanic, litiaza ureterală, hidronefroza.

a.III. Cum pot fi folosite ultrasunetele la pat să evalueze plămânii și pleura?

Ultrasonografia aduce informații importante despre plămân identificând: plămânul umed, aspectele de condensare pulmonară, modificările pleuro-pulmonare din detresa respiratorie acută, aspectul colecțiilor pleurale și pneumotoracele. Se identifică astfel rapid la pacientul cu dispnee necesitatea indicației terapeutice diuretice (plamânul umed), antibiotice (condensare și detresă) sau drenajul colecțiilor lichidiene sau aerice.

a.IV. Cum pot ajuta ultrasunetele la pat să ghideze resuscitarea?

Referitor la resuscitare conform ghidului European din 2021 se introduce ultrasonografia pentru evaluarea în condiții de activitate electrică fără puls a tamponadei, stării de hipovolemie sau pneumotoraxului sufocant, dilatării acute a cordului drept, entități patologice care sunt încadrate ca și cauze reversibile de stop cardio-respirator ce trebuie tratate. Toate elementele ultrasonografice menționate creează suport pentru deciziile diagnostico-terapeutice și de dispoziție medicală[5], dar pot fi evaluate și în dinamică. În practică este necesară corelarea apectului cordului cu cel al plamânului și venei cave inferioare pentru a observa remiterea supraîncărcării volemice sau a hipovolemiei, schimbarea aspectului de plămân umed în plămân normal sub terapie diuretică și inotropă. Este important să luăm în considerare evoluțiile nefavorabile rapid în contextul în care acestea nu pot fi manageriate în spitalul unde suntem de gardă și să le transferăm în condiții de siguranță spre serviciile ce le pot asista.

Pentru a interpreta corect imaginile ultrasonografice este necesar a integra aspectele identificate cu starea clinică a pacientului. Spre exemplu pentru vena cavă inferioară este necesar a interpreta corect variația inspiratorie cu diametrul maxim al acesteia, altfel indicația de administrare de fluide poate conduce la decompensarea pa-

cientului sau la administrarea de diuretic la un pacient care este responsiv la fluide[6]

Cele mai frecvente erori în diagnosticul ultrasonografic se datorează: necooperării pacientului la examinare, lipsei de informații clinice prin deficit de comunicare, necunoașterii echipamentului și a modului de reglare, utilizării unui transductor impropriu, optimizării insuficiente a imaginii, cunoștiințelor reduse în efectuarea diagnosticului diferențial, supraestimării unei singure examinări[7]. În concluzie, ultrasonografia reprezintă un instrument util medicului de gardă pentru identificarea situațiilor critice și a celor care necesită diferite manopere intervenționale, chirurgicale sau terapii specifice. Pentru a efectua POCUS în aceste situații este nevoie de training și interpretarea imaginilor în context clinic pentru a evita erorile de interpretare și implicit de management.

Bibliografie:

1 Sekiguchi H. Tools of the trade: point-of-care ultrasonogra phy as a stethoscope. Semin Respir Crit Care Med 2016;37: 68–87.

2. Wookjin Choi, et all, on behalf of the Society Emergency and Critical Care Imaging (SECCI). Role of point-of-care ultrasound in critical care and emergency medicine: update and future perspective. Clin Exp Emerg Med 2023;10(4):363-381.

3. American College of Emergency Physicians. Emergency ultra sound guidelines. Ann Emerg Med 2009;53:550–70.

4. Jeffrey R. Stowell, Ross Kessler, Scott Lotz. Ultrasonographic Assessment of Shock. Critical Decisions in Emergency Medicine 2017; 31(8): 13-22.

5. Ali Abdolrazaghnejad, Mohsen Banaie, Mohammad Safdari. Ultrasonography in Emergency Department; a Diagnostic Tool for Better Examination and Decision-Making. Advanced Journal of Emergency Medicine 2018; 2(1): e7: 1-13.

6. Pablo Blanco, Giovanni Volpicelli. Common pitfalls in point-of-care ultrasound: a practical guide for emergency and critical care physicians. Crit Ultrasound J 2016; 8(15): 1-12.

7. Antonio Pinto, Fabio Pinto, Angela Faggian, Giuseppe Rubini, Ferdinando Caranci, Luca Macarini, Eugenio Annibale Genovese, Luca Brunese. Sources of error in emergency ultrasonography. Critical Ultrasound Journal 2013; 5(Suppl 1): S1: 2-5.

M O DU L N OST R U

CEL MAI RAPID

DE A LUPTA ÎMPOTRIVA ANEMIEI FERIPRIVE

Fe + Mn + Cu.5

Asorbabil imediat + Bine tolerat.1, 4

Până în ziua 30, normalizarea nivelului de hemoglobină la toate tipurile de pacienți.1, 2, 3

Medicament inclus în lista C3, cu procent de compensare 100% din prețul de referință

1

2 S.Y Anmouth, O.B. Saneeva and A.V Tchouprova. Les nouveautés dans le traitement de l’anémie sidéropénique chez les enfants. Le journal des « Maladies des Nouveaux Nés et des Enfants ». 2001. 1 : 68-70

3with other liquid or solid formultaions containing bivalent or trivalent iron. Minerva ginecologica. 1996. 48 : 511-518

4 Raport ul din anul 2017 privind siguranța, actualizat periodic (1 Iulie 2010 - 30 Iunie 2017)

5 Rezumatul caracteristicilor produsului pentru Tot’héma®. Rezumatul caracteristicilor produsului pentru Tot’héma® este disponibil la stand la cerere.

5

Acest material este destinat profesioniştilor din domeniul sănătății.

Anestezia regională pentru chirurgia laparoscopică

Tradițional intervențiile laparoscopice erau efectuate cu anestezie generală (AG), în special datorită modificărilor respiratorii date de efectuarea pneumoperitoneului. Controlul adecvat al ventilației în anestezie generală este ideal în intervențiile laparoscopice. În ultimul timp utilizarea anesteziei regionale (AR), pentru intervențiile chirurgicale laparoscopice, a luat o mare amploare și s-a remarcat ca o alternativă sigură pentru anestezie. Datele din literatură sugerează că anestezia regională, spinală, peridurală sau combinată spinală-peridurală, sunt sigure pentru intervențiile chirurgicale laparoscopice. Avantajele utilizării AR includ: evitarea manipulării căii aeriene, pacient treaz cu respirație spontană, grețuri și varsături cu frecvență redusă, analgezie postoperatorie de bună calitate, mobilizare și recuperare precoce. Totuși, pot exista și efecte secundare nedorite ale AR legate de nivelul ridicat al blocului senzorial, uneori cu hipotensiune severă, dureri sau disconfort la nivelul umerilor datorate iritației diafragmatice și uneori dificultăți respiratorii datorate pneumoperitoneului.

PInst. Reg. de Gastroenterologie și

Hepatologie „Prof. O. Fodor”, Cluj-Napoca, UMF „Iuliu Hațieganu” Cluj-Napoca

articularitățile anestezice în chirurgia laparoscopică sunt legate de modificările fiziopatologice ce apar ca urmare a instalării pneumoperitoneului și poziționarea pacientului pe masa de operație. Alte particularități sunt legate de faptul că hemoragia poate fi uneori dificil de evaluat și de stăpânit laparoscopic, există riscul de leziuni viscerale greu de decelat, iar durata intervenției chirurgicale, în unele situații, poate să fie de lungă durată. Anestezistul trebuie să fie avizat și să cunoască modificările fiziopatologice care apar în urma pneumoperitoneului și să fie pregătit să prevină, să detecteze și să trateze eventualele complicații din timpul intervenției chirurgicale.

Avantajele chirurgiei laparoscopice sunt multiple și ele sunt reprezentate în special de faptul că trauma chirurgicală este minimă, durerea postoperatorie este de mai mică intensitate, recuperarea postoperatorie este mai rapidă, iar durata de spitalizare este mai scurtă. Anestezia generală cu ventilație controlată se pare că este cea mai bună alternativă

pentru intervențiile laparoscopice, dar în anumite cazuri selectate se poate opta și pentru anestezia regională.

Anestezia regională

AR pentru intervențiile chirurgicale laparoscopice, a câștigat popularitate doar recent, în principal datorită îngrijorării legate de riscul de aspirație și apariția tulburărilor respiratorii legate de instalarea pneumoperitoneului la un pacient conștient. Pe de altă parte AR are și multiple avantaje, prin comparație cu AG, în principal prin faptul că asigură o recuperare mai rapidă, analgezie postoperatorie eficientă, evitarea manipulării căii aeriene, scăderea duratei de internare, costuri mai reduse și incidența grețurilor și vărsăturilor postoperatorii scăzută. În trecut, utilizarea AR pentru intervențiile chirurgicale laparoscopice se limita la pacienții cu co-morbidități severe, la care s-a demonstrat că avea beneficii. Sunt evidențe clare că utilizarea AR pentru intervențiile chirurgicale laparoscopice la pacientul conștient, produce modificări ale mecanicii respiratorii și a gazelor sanguine de mică amploare. Sunt multiple tehnici de anestezie regională care por fi utilizate în siguranță în intervențiile laparoscopice.

Tehnicile anestezice regionale utilizate în intervențiile chirurgicale laparosco-

pice abdominopelvine se împart în două categorii: tehnici anestezice neuraxiale (blocurile regionale neuraxiale) și tehnici anestezice periferice (blocurile regionale periferice). Blocurile neuraxiale includ administrarea intratecală sau peridurală de anestezic local și/sau opioid și blocul paravertebral cu anestezic local. Blocurile periferice utilizate pentru anestezia regională abdominală sunt blocurile de plan (plane blocks). În loc să se injecteze anestezicul local direct în jurul unui nerv, ca și în blocurile convenționale de nerv periferic, în blocurile de plan se utilizează volume mai mari de anestezic local de concentrație mai mică, pentru a infiltra planul interfascial traversat de nerv.

Blocurile neuraxiale asigură anestezie chirurgicală și analgezie postoperatorie. Pentru analgezia postoperatorie de durată anestezicele locale se administrează continuu peridural sau intratecal prin intermediul unui cateter. Existența receptorilor pentru opioide la nivelul măduvei, permite administrarea intratecală sau peridurală a anestezicelor opioide pentru analgezie. Prin contrast, receptorii pentru opioide nu se găsesc la nivelul sistemului nervos periferic. Opioidele administrate intratecal, la fel ca în administrarea sistemică, produc depresie respiratorie într-o manieră dependentă de doză și se asociază și cu alte efecte secundare nedorite cum sunt grețurile și

Șef Lucrări
Dr. Claudiu Zdrehuș

vărsăturile, pruritul. Totuși, morfina utilizată intratecal ca parte a protocolului de analgezie multimodală ERAS, facilitează scurtarea timpului de internare după intervențiile majore laparoscopice.

Anestezia peridurală

S-a demonstrat că este o tehnică sigură pentru intervențiile chirurgicale la nivelul abdomenului inferior, asigurând o analgezie postoperatorie foarte bună și cu o rată mică a complicațiilor. Se utilizează în siguranță și pentru intervențiile laparoscopice efectuate în abdomenul superior și nu determină modificari importante asupra mecanicii respiratorii. Eficiența anesteziei peridurale, cât și a analgeziei postoperatorii, poate fi crescută și prelungită prin utilizarea adjuvantelor împreună cu anestezicele locale. Anestezia periduală se utilizează cu succes la pacienții la care AG incumbă riscuri mari, asigurând și o foarte bună analgezie postoperatorie. În timp ce analgezia peridurală toracică asigură o analgezie foarte eficientă, există și unele dezavantaje. Unul dintre acestea este reprezentat de faptul că pacientul trebuie să rămână internat și monitorizat. Există și riscul apariției hipotensiunii, a abcesului sau hematomului peridural. Din aceste motive, analgezia peridurală toracică se utilizează pentru intervențiile chirurgicale laparoscopice care presupun internarea continuă a pacienților, cum sunt rezecțiile colorectale laparoscopice. Pentru chirurgia majoră laparoscopică colorectală analgezia peridurală toracică are avantajul că asigură o analgezie foarte bună, scade consumul de opioide, grăbește reluarea funcției gastrointestinale și îmbunătățește toleranța la alimentația orală.

Anestezia spinală

Anestezia spinală este mai fezabilă și asigură condiții laparoscopice chirurgicale mai bune printr-o relaxare musculară mai profundă și o recuperare rapidă. În literatură este descrisă utilizarea în siguranță a anesteziei spinale pentru intervențiile laparoscopice atât din etajul abdominal superior cât și din cel inferior. Principalele avantaje ale anesteziei spinale sunt reprezentate de: pacient treaz care respiră spontan; lipsa instrumentării căii aeriene; incidența scăzută a grețurilor și

vărsăturilor postoperatorii; asigurarea unei analgezii postoperatorii eficiente și recuperarea rapidă. Există totuși câteva îngrijorări legate de utilizarea anesteziei spinale în chirurgia laparoscopică. Incidența hipotensiunii arteriale poate să ajungă până la 20,5% și poate fi agravată de poziția anti-Trelenburg și presiunea crescută intraabdominală. Aceasta poate fi prevenită prin hidratarea adecvată a pacientului, reducerea flectării capului, reducerea presiunii intraabdominale și utilizarea de vasopresoare. Incidența durerilor în umăr variază între 25% și 43% și poate fi neplăcută pentru pacient în perioada postoperatorie. Etiologia sa ar fi iritația peritoneului subdiafragmatic determinată de pneumoperitoneul cu bioxid de carbon. Aceasta poate fi redusă în intensitate prin utilizarea unei presiuni intraabdominale scăzute de 8-10 mmHg, instilarea de anestezic local în cavitatea peritoneală și utilizarea de opioide parenteral. Modificările mecanicii respiratorii datorate pneumoperitoneului, pot determina creșterea PaCO2 prin absorbția acestuia din peritoneu, rezultând și modificări ventilatorii, dar se pare că aceste modificări sunt nesemnificative atât pentru PaO2 cât și pentru PaCO2 în timpul intervențiilor chirurgicale laparoscopice în anestezie spinală.

Anestezia combinată

spinală-peridurală

Utilizarea anesteziei combinate spinală-peridurală oferă multe avantaje pe lângă cele două tehnici singure, în primul rând instalarea mai rapidă față de blocul peridural, utilizarea unor doze mai mici de anestezic local intratecal. Asigură o analgezie postoperatorie foarte eficientă și permite mobilizarea precoce a pacientului, iar incidența complicațiilor este foarte mică.

Blocul paravertebral

Acest tip de bloc anestezic presupune administrarea anestezicului local lateral de spațiul peridural, la emergența rădăcinilor nervilor spinali. Are o durată mai lungă de acțiune, asigurând o bună analgezie postoperatorie. Dezavantajul acestui tip de bloc este că necesită injectări seriate bilaterale și la mai multe nivele paravertebrale.

Blocurile periferice de plan

Cele mai utilizate blocuri de nerv la nivelul peretelui abdominal pentru chirurgia laparoscopică sunt reprezentate de:

- Blocul de drept abdominal

- Blocul ilioinghinal și iliohipogastric

- Blocul de plan transvers abdominal (TAP)

- Blocul de plan transvers abdominal medioaxilar

- Blocul de plan transvers abdominal subcostal (OSTAP)

- Blocul anterior de pătrat lombar (AQLB)

- Blocul lateral de pătrat lombar (LQLB)

- Blocul posterior de pătrat lombar (PQLB)

În concluzie, putem afirma că utilizarea anesteziei regionale pentru intervențiile chirurgicale laparoscopice este sigură, are efecte secundare minime, acestea putând fi ușor corectate cu medicația existentă. AR poate avea unele avantaje față de AG, cum sunt lipsa manipulării căii aeriene, menținerea respirației spontane, analgezie postoperatorie foarte bună, incidența scăzută a grețurilor și vărsăturilor postoperatorii, recuperare rapidă și mobilizare precoce, cu scăderea riscului de tromboză venoasă profundă. Tehnicile de anestezie regională pentru intervențiile chirurgicale laparoscopice depind în mare măsură de experiența și competența anestezistului.

Bibliografie

1. Bajwa SJ, Kulshrestha A. Anaesthesia for laparoscopic surgery: General versus Regional anaesthesia. Journal of Minimal Acces Surgery 2016,12(1): 1-10

2. Gerges FJ, Kanazi GE, Jabbour-Khoury SI. Anesthesia for laparoscopy: a review. J Clin Anesth. 2006; 18(1): 67-78.

3. Santoro E, Colace L, Pedulla G, Pullano C. Spinal and Epidural Anesthesia for Laparoscopic Abdominal Surgery: 84 Procedures. World J of Surgery and Surgical Research 2021,4, 1334-1339

4. Corda Teixeira JS, Correia MJD, Haas A, Tralhao A. Continuous spinal anaesthesia for partial gastrectomy in an adult patients in an unrepaired tetralogy of Fallot. Cardiol Young. 2019;29(6):845-6.

5. Cotugno M, Dallaglio M, Cantadori L, Villani F, Martens D, Cantoni F, et al. Right open nephrectomy under combined spinal and peridural operative anaesthesia and analgesia: A new anesthetic approach in abdominal surgery. Arch It Urol Androl. 2020;91(4):267-8.

6. Hayashi K, Murata K, Naito A, Kagawa Y, Kawai K, Mori R, et al. A case of resection of obstructive colon cancer associated with aspiration pneumonia, under combined epidural-spinal anaesthesia. Gan Kagaku Ryoho. 2017;44(12):1970-2.

7. Tatulli F, Delcuratolo A, Caraglia A, Notarnicola A, Carbone FPN, Caputi A. Three trocar laparoscopic cholecistectomy under spinal anesthesia in a patients with asthma. Giorn Chir. 2018;39(3):188-90.

8. Bayrat K, Altintas Y. Comparing laparoscopic cholecistectomy in patients with chronic obstructive pulmonary disease under spinal anaesthesia and general anaesthesia. BMC Surg. 2018;18(1):65.

9. Gautam B, Baral B. Spinal anaesthesia for laparoscopic cholecistectomy

in Parkinson disease. JNMA J Nepal Med Assoc. 2018;56(211):701-4.

10. Kreppel D, Antoniadis G, Seeling W. Spinal hematoma: A literature survey with metanalisis of 613 patients. Neurosurg Rev. 2003;26(1):1-49. 23. Kumar CM, Corbet WA, Wilson RG. Spinal anaesthesia with microcatheter in high risk patients undergoing colorectal cancer and other major abdominal surgery. Surg Oncol. 2008;17(2):73-7.

11. van Zundert AA, Stultiens G, Jakimowicz JJ, van den Borne BE, van der Ham WG, Wildsmith JA. Segmental spinal anaesthesia for cholecystectomy in a patient with severe lung disease. Br J Anaesth 2006;96:464-6.

12. Mane RS, Patil MC, Kedareshvara KS, Sanikop CS. Combined spinal epidural anesthesia for laparoscopic appendectomy in adults: A case series. Saudi J Anaesth 2012;6:27-30.

13. Kang RA, Chin KJ, Gwak MS, Kim GS, Choi SJ, Kim JM, et al. Bilateral single-injection erector spinae plane block versus intrathecal morphine for postoperative analgesia in living donor laparoscopic hepatectomy: a randomi-

zed non-inferiority trial. Reg Anesth Pain Med. 2019;44(12):1059–65.

14. Aydin G, Aydin O. The efficacy of ultrasound-guided paravertebral block in laparoscopic cholecystectomy. Med. 2018;54(5):2–9.

15. Oh TK, Lee SJ, Do SH, Song IA. Transversus abdominis plane block using a short-acting local anesthetic for postoperative pain after laparoscopic colorectal surgery: a systematic review and meta-analysis. Surg Endosc. 2018;32(2):545–52.

16. Wu L, Wu L, Sun H, Dong C, Yu J. Corrigendum: effect of ultrasound-guided peripheral nerve blocks of the abdominal wall on pain relief after laparoscopic cholecystectomy. J Pain Res. 2020;13:2169.

17. Hamid HKS, Ahmed AY, Alhamo MA, Davis GN. Efficacy and safety profile of rectus sheath block in adult laparoscopic surgery: a meta-analysis. J Surg Res. 2021;261:10–7.

18. Wu RC, Jensen CC, Douaiher J, Madoff RD, Kwaan MR. Transversus abdominis plane block in laparoscopic colorectal surgery: a systematic review. Dis Colon Rectum. 2019;62(10):1248–55.

Rigiditatea cateterului

Design inovativ:

• Durata de implantare până în 29 zile

• Prevăzut cu fir ghid încorporat pentru o inserție mai ușoară

• Cateter din poliuretan termosensibil cu temperatura corpului pentru o traumă vasculară minimă

Vârful cateterului ranforsat pentru o inserție ușoară

• Conceput să mențină consecvent debitul de aspirație fără colapsul cateterului

• Testele in vitro au demonstrat că peretele cateterului se înmoaie cu până la 80% atunci când este expus la temperatura corpului

Beneficii

• Prindere intuitivă

• Injectare cu presiune

• Fir de ghidaj integrat

• Design elegant al carcasei

• La nivelul corpului cu 80% mai moale

• Indicat pentru folosință până la 29 de zile

• Proiectat pentru inserarea simplificată cu traumă minimă în peretele vascular

Telemedicina Integrată în Terapia

Durerii

Telemedicina integrată în terapia durerii joacă un rol semnificativ în optimizarea gestionării durerii, oferind soluții inovatoare și acces mai facil la îngrijirea medicală. Aceasta implică folosirea tehnologiilor informatice pentru conectarea, coordonarea și facilitarea schimbului de informații între diferite componente ale sistemului medical, inclusiv între furnizorii de servicii medicale și pacienți.

Martin Bikfalvi

Spirocco Digital Hospital Sistem Informatic de Telemedicină Integrată www.digitalhospital.ro

Câteva dintre rolurile-cheie ale telemedicii în terapia durerii:

1 Acces la consultații la distanță: Telemedicina permite pacienților să beneficieze de consultații la distanță cu specialiști în terapia durerii. Acest lucru este deosebit de util pentru pacienții care trăiesc în zone geografice îndepărtate sau care au dificultăți în a se deplasa.

2 Monitorizare continuă la distanță a simptomelor: Dispozitivele medicale conectate pot fi utilizate pentru a monitoriza simptomele pacienților la distanță, pentru monitorizarea continuă a parametrilor relevanți, cum ar fi tensiunea arterială, frecvența cardiacă, frecvența respiratorie, saturația, glicemia, temperatura, funcția renală, funcția pulmonară, analiza sângelui, evaluarea funcției hepatice, EKG, densitate osoasă și nivelul de activitate. Aceasta oferă medicilor informații în timp real despre evoluția durerii și a altor factori relevanți, permițând ajustarea rapidă a planului de tratament.

3 Conectivitate și interoperabilitate: Sistemele de telemedicină integrată sunt proiectate să permită conectarea și interoperabilitatea diferitelor platforme și dispozitive medicale. Aceasta asigură schimbul fluent de informații între diversele componente ale sistemului de sănătate.

4 Individualizarea tratamentului:

Telemedicina permite adaptarea tratamentului în funcție de nevoile individuale ale pacienților. Specialiștii pot face ajustări în terapie, precum modificarea dozelor de medicamente sau recomandarea unor tehnici specifice de gestionare a durerii, ținând cont de informațiile colectate la distanță.

5 Platforme de auto-management: Telemedicina poate integra platforme de auto-management a durerii, oferind pacienților resurse și instrumente pentru a-și gestiona mai bine simptomele. Acestea pot include exerciții recomandate, tehnici de relaxare, jurnale pentru monitorizarea durerilor.

6 Teleconsiliere și suport psihologic: Telemedicina poate furniza servicii de teleconsiliere și suport psihologic pentru a aborda aspectele psihologice și emoționale asociate cu durerea cronică. Terapia durerii nu implică doar gestionarea aspectelor fizice, ci și a celor emoționale. Telemedicina facilitează furnizarea de consiliere și suport psihologic la distanță, ajutând pacienții să facă față aspectelor psihologice asociate cu durerea cronică.

7 Gestionarea medicamentelor: Telemedicina poate facilita prescripția și monitorizarea efectelor secundare ale tratamentelor medicamentoase. Aceasta contribuie la asigurarea unei administrări corecte și sigure a medicamentelor.

8 Cooperare între specialiști: Telemedicina facilitează colaborarea între diferiți specialiști, cum ar fi fizioterapeuți, psihiatri și alți profesioniști implicați în îngrijirea pacienților cu dureri cronice. Această abordare in-

terdisciplinară poate duce la un plan de tratament mai eficient.

9 Acces la specialiști: Pacienții pot beneficia de acces la specialiști în terapia durerii chiar și în zone geografice izolate sau cu resurse medicale limitate. Aceasta îmbunătățește disponibilitatea serviciilor și reduce timpul de așteptare pentru consultații și tratamente.

10 Planificarea îngrijirii: Telemedicina poate fi utilizată pentru discuții și planificare anticipată a îngrijirii, abordând aspecte cum ar fi opțiunile de tratament și dorințele pacientului în privința îngrijirii.

11 Educarea pacienților: Platformele de telemedicină pot oferi resurse educaționale pacienților, ajutându-i să înțeleagă mai bine cauzele și managementul, opțiunile de tratament și tehnici de auto-gestionare, să fie mai implicați în propriul proces de îngrijire. Educația pacienților poate contribui la îmbunătățirea compliance-ului și a rezultatelor terapeutice. Prin utilizarea unui sistem informatic de telemedicină integrată, se pot obține beneficii semnificative în optimizarea gestionării cazurilor clinice și creșterea eficienței sistemului de sănătate.

Este important ca această integrare să fie realizată cu respect pentru nevoile individuale ale pacienților și să respecte standardele de securitate și confidențialitate ale datelor medicale.

Când oprim antibioterapia?

Utilizarea corectă a antibioticelor, controlul sursei și optimizarea functională precoce în sepsis și soc septic au condus la îmbunătaţirea semnificativă a prognosticului și la creșterea supravieţuirii. În același timp, se constată că se administrează în mod excesiv, inutil și pentru o durată de timp prea mare antibiotice. La 20-30% dintre pacienţii spitalizaţi se iniţiază în mod eronat antibioterapie în sindroame inflamatorii noninfecţioase sau pentru situaţii de colonizare microbiană. Abuzul de antibiotice conduce la apariţia efectelelor adverse cu impact major asupra morbidităţii, mortalităţii, a duratei de spitalizare și a costurilor. Trebuie subliniat că datele medicale recente arată că o durată mai scurtă de antibioterapie comparativ cu durata tradiţională aplicată standard, are eficienţă terapeutică similară și nu duce la creșterea mortalităţii și la recurenţa infecţiei. Scurtarea duratei de antibioterapie este o recomandare fermă a ghidurilor de tratament al bolilor infecţioase, iar intervalul optim de antibioterapie trebuie individualizat în funcţie de evoluţia clinică și a biomarkerilor inflamataori.

AUMF “Gr. T. Popa” Iași, Secţia ATI, Sp. Clinic Judeţean de Urgență „Sf. Spiridon“ Iași

ntibioticele reprezintă una dintre cele mai frecvente categorii de medicamente prescrise în practica medicală, la pacienții din ambulator sau spitalizaţi, cu scopul tratării unei infecții sau pentru profilaxia unei infecții în cazul aplicării unor manevre terapeutice invazive. Se raportează în literatură că 50% dintre pacienţii admiși în spital și 70% dintre pacienţii din terapie intensivă au primit cel puţin un antibiotic în cursul internării(1,2). Utilizarea antibiotecelor este în continuă creștere la nivel global; o analiză a consumului de antibiotice în 76 de țări a arătat că din anul 2000 până în 2015, consumul de antibiotice exprimat în doze zilnice definite (defined daily doses-DDD) a crescut cu 65% iar rata consumului de antibiotice (DDD la 1000 de locuitori pe zi) cu 39%, atât în țările cu venituri mici și medii cât și în țările cu venturi mari. Același studiu estimează că, în lipsa unor strategii eficiente de control al antibioterapiei, consumul de antibiotice va crește cu 200% în anul 2030(3).

Antibioterapia este o verigă esențială în tratamentul sepsisului. Conform ghidului Surviving Sepsis Campaign 2016 și 2021(4), administrarea intravenoasă a antibioticelor cu spectru larg în prima oră în sepsisul confirmat sau

suspectat, este o recomandare puternică. Controlul sursei sepsisului, antibioterapia adecvată inițiată precoce, resuscitarea volemică și optimizarea perfuziei tisulare au condus la îmbunătaţirea semnificativă a prognosticului și la creșterea supravieţuirii la pacienţii cu sepsis și soc septic. În același timp, se constată că se administrează în mod excesiv și inutil antibiotice; la 20-30% dintre pacienţii spitalizaţi se inițiază în mod eronat antibioterapie în sindroame inflamatorii noninfecţioase sau pentru situaţii de colonizare microbiană. Un alt aspect legat de administrarea inutilă de antibiotice se referă la durata tratamentului. Datele publicate în ultimii 10 ani aduc argumente asupra beneficiilor scurtării duratei de administrare a antibioticelor și atrag atenţia că o durata lungă de antibioterapie reprezintă o practică medicală indecvată. Administrate în exces, antibioticele conduc la apariţia efectelelor adverse care au un impact major asupra morbidităţii, mortalităţii, a duratei de spitalizare și a costurilor.

Probemele legate de antibioterapie sunt extrem de complexe deoarece vizează atât momentul iniţierii, alegerea antibioticului sau a combinației de antibiotice adecvate, stabilirea căii de administrare și doza optimă, precum și durata antibioterapiei. Obiectivul major al tratamentului cu antibiotice este de obţinere a eficienței terapeutice, tratarea infecției, dar trebuie avut în vedere și minimizarea efectelor adverse ale antibioticelor precum și adaptarea dozelor la disfuncțiile pe care le prezintă bolnavul.

Dacă inițierea antibioterapiei este,

în general, bine standardizată prin protocoale și ghiduri ale societăţilor de boli infecţioase (de exemplu Surviving sepsis campaign: international guidelines for management of sepsis and septic shock 2021)(4), durata optimă de antibioterapie și care este momentul când se poate opri admnistrarea de antibiotice reprezintă adevărate provocări pentru practicienii din întreaga lume. Totuși ghidul de management în sepsis din 2021 (Surviving sepsis campaign 2021)(4) recomandă pentru cazurile de sepsis sau șoc septic la care s-a realizat controlul adecvat al sursei, scurtarea duratei de antibioterapie și pledează pentru renunțarea la practicile traditionale de antibioterapie cu durată standard (ex de 7-14 zile, etc).

Multiple studii și editoriale atrag atenţia că durata de antibioterapie prelungită inutil reprezintă un factor semnificativ statistic pentru riscul de apariţie a efectelor negative precum rezistenţa la antibiotice, selectarea florei oportuniste, dismicrobismul intestinal și dezvoltarea infecției intestinale cu Clostridium Difficile, efecte toxice hepatice, renale, hematologice, neurologice, reacții alergice, leziuni dermatologice, tulburări de ritm cardiac, etc (Tabelul nr 1) ceea ce implică o creștere a morbidității și costuri ridicate pentru sistemul de sănătate. Una dintre cele mai serioase probleme legate de antibioterapie este perturbarea ecosistemelor microbiene și selectarea florei rezistente la antibiotice, efect ce se instalează chiar după administrarea primelor doze. Astfel este favorizată dezvoltarea infecţiilor cu germeni mul-

Conf. Univ. Dr. Mihaela Blaj

Tabelul nr.1. Efecte negative ale antibioterapiei la 30 de zile de la inițierea antibioterapiei (adaptat după JAMA Intern Med. 2017;177(11)

Efect advers Observații

1. Tulburări digestive Sindrom diareic cauzat de infecția cu Clostridium difficile sau non Clostridium diff.

2. Tulburări hematologice

3. Efecte toxice hepatobiliare

4. Nefrotoxicitate

5. Neurotoxicitate

6. Tulburări de ritm cardiac

7 Reacții dermatologice

8. Miozite

Greaţă, vărsături, fără alte cauze decât administrarea de antibiotice Mai mult de 3 emisii diareice pe zi apărute în contextul administrarii de antibiotice , în absența terapiei cu laxative sau alor enterite preexistente

Teste pozitive pentru toxină

Anemie, leucopenie, trombocitopenie, în absenţa pierderii de sânge și a terapiei mieolosupresoare

Colestaza (bilirubina>3mg/dl), creșterea transaminazelor de 3 ori mai mult decât valoarea normală, în absența altor cauze sau a instrumentării căilor biliare

Creșterea creatininei serice de 1,5 ori față de nivelul de bază ( dificil de diagnosticat în prezența altor factori de risc de injurie renală, precum sepsisul, sau administrarea substanței de contrast, etc)

Alterarea statusului mental, neuropatii periferice, convulsii (după excluderea altor cauze)

Prelungirea intervalului QT, obiectivat pe două ECG-uri, fără să existe în antecedente tulburări de conducere

Eritem cutanat, red man syndrome, se remite după întreruperea antibioterapiei

Creșterea creatin fosfokinazei de 5 ori față de valoarea serică, în absența unei miopatii cunoscute sau a utilizării de statine

9 Șoc anafilactic Hipotensiune arterială, tahicardie , edem glotic, bronhospasm , apărute imdeiat după administrarea antibioticelor.

10 Selectarea florei multidrog rezistente (MDR) și dezvoltarea infecției cu acești germeni

tidrogrezistenti (MDR), agenți care sunt sursa unor infecții severe, cu mortalitate ridicată (40-60% la pacienţii din terapie intensivă). Trebuie să subliniem că tratamentul acestor infecții reprezintă o mare provocare în condițiile în care resursa de antibiotice noi este mult redusă, iar costul acestor medicamente de ultima generație este în general foarte mare. În 2019, Organizația Mondială a Sănătății (OMS) a declarat rezistența antimicrobiană drept una dintre primele 10 amenințări globale pentru sănătatea publică(5)

Instalarea infecției cu germeni multidrog rezistenți la pacienții care erau colonizati cu astfel de germeni (Staphyococcus aureus meticilino rezistent MRSA, enterococ rezistent la vancomicină, Enterobacteriacee rezistente la carbapeneme, Acinetobacter MDR, Pseudomonas MDR, bioterapie reprezintă cea mai eficientă strategie pentru reducerea rezistenței la antibiotice, mecanismul principal fiind scăderea presiunii de selecţie a tulpinilor bacteriene rezistente.

laboratorii(7) publică în 2018 o metaanaliză ce cuprinde trialuri clinice raportate între 1990 și 2017 în Europa și în Statele Unite referitoare la evoluția pacienților adolescenți și adulți spitalizați cu diverse infecții (pneumonii, infecții intraabdominale, infecții urinare, infecții ale ţesuturilor moi), la care au urmărit eficienţa terapeutică, mortalitatea, recurenţa infecției, incidenţa infecției cu bacterii multidrug rezistente (MDR), costurile și durata de internare în spital. Referitor la eficiența terapeutică, studiul concluzionează că o durată mai scurtă de antibioterapie între 5 și 7 zile nu este inferioară antibioterapiei de lungă durată, de 10-14 zile în tratarea infecţiei. Mai mult de 45 de trialuri clinice precum și 2 metaanalize publicate în utimii 10 ani, demonstrează că nu există diferenţe între o durată mai scurtă de antibioterapie de 3-5 zile comparativ cu durata tradițională de antibioterapie de 7-14 zile, concluzionând că o durată mai scurtă de antibioterapie este eficientă terapeutic iar efectele negative sunt reduse (“shorter is better”) (8). Această atitudine terapeutică „mai scurt este mai bine” care s-a lansat în ultimul deceniu adoptă o abordare bazată pe dovezi cu scopul de a demonstra siguranța antibioterapiei cu durate mai scurte comparativ cu cea cu durată fixă

Care este strategia pe baza căreia putem opri antibioterapia la pacienții critici?

Multiple rapoarte medicale actuale subliniază că scurtarea duratei de anti-

Studii clinice și metaanalize publicate în ultimii 10 ani susţin că o durată mai scurtă de antibioterapie comparativ cu duratele lungi tradiționale au eficienţă terapeutică similară, nu duc la creșterea mortalităţii și la recurenţa infecţiei(6) Pornind de la ipoteza că o durată mai scurtă de antibioterapie poate fi eficientă în tratarea infecției dar și în reducerea costurilor și a complicaţiilor, Royer și co-

Decizia de a opri antibioterapia se bazează pe coroborarea elementelor referitoare la evoluția clinică, controlul sursei infecției, evoluția biomarkerilor, în special a procalcitoninei precum și la negativarea culturilor miocrobiologice. Cel mai important indicator în decizia de intrerupere a antibioterapiei este criteriul evoluţiei clinice. Îmbunătăţirea statusului clinic și remisiunea disfuncţiilor de organ, ameliorarea stării de conștiență, a parametrilor respiratori și hemodinamici, sunt aspecte semnificative care trebuie luate în considerare în algoritmul privind durata antibioterapiei. Stabilizarea funcțională hemodinamică și respiratorie reprezintă un element mult mai valoros în algoritmul decizional pri-

Progrese în Resuscitarea Pediatrică: Integrarea

Cercetărilor Recente cu Ghidurile ERC

This article explores recent advances in pediatric resuscitation, focusing on the integration of the upcoming ERC 2025 guidelines, modern technologies, and current research. Key topics include the importance of high-quality chest compressions, the role of real-time feedback, the contribution of the CPR Quality Officer, the use of extracorporeal resuscitation (ECPR), and challenges related to effective ventilation. Recent studies support the implementation of advanced technologies and continuous training as critical strategies to significantly improve survival rates and neurological outcomes in children experiencing cardiac arrest.

Medic specialist Pediatrie, Dr. Șt. Med. Instructor ERC/ PADI Adult and Pediatric BLS, clinica.ecaterina@gmail.com

Abrevieri

● ERC – European Resuscitation Council

● CPR – Cardiopulmonary Resuscitation

● ECPR – Extracorporeal Cardiopulmonary Resuscitation

● CQO – CPR Quality Officer

● ECMO – Extracorporeal Membrane Oxygenation

● AHA - American Heart Association

● AED – Automated External Defibrillator

● BLS - Basic Life Support

● VFD – Ventilation Feedback Device

Introducere

Resuscitarea pediatrică reprezintă una dintre cele mai critice intervenții în medicina de urgență. Ea necesită nu doar cunoștințe tehnice solide, ci și adaptare la particularitățile fiziologice ale copilului. În ultimele decenii, domeniul a înregistrat progrese majore, datorate inovației în echipamente, perfecționării tehnicilor și actualizării continue a ghidurilor internaționale. Consiliul European de Resuscitare (ERC) joacă un rol esențial în dezvoltarea acestor standarde.

ERC a demarat recent procesul de elaborare a Ghidurilor 2025, un demers ce pune accent pe transparență, echitate și inovație clinică. Pentru prima dată, aceste ghiduri vor include și perspectiva supraviețuitorilor stopului cardiac, dar și contribuțiile organizațiilor de pacienți, într-o abordare centrată pe nevoile reale ale celor afectați(1). Acest demers urmărește crearea unor recomandări mai umane, mai accesibile și mai eficiente.

Calitatea CPR: Un pilon în supraviețuirea pediatrică

Un CPR eficient este considerat esențial în creșterea șanselor de supraviețuire ale copiilor în caz de stop cardiac. Compresiile toracice de calitate, ritmul constant, ventilația eficientă și defibrilarea timpurie sunt elemente fundamentale. Ghidurile ERC insistă pe aplicarea promptă a CPR de înaltă calitate, combinată cu defibrilarea precoce, mai ales în cadrul echipelor de intervenție pre-spitalicească(2, 3, 4)

Studiile recente au evidențiat că aplicarea riguroasă a acestor recomandări poate crește considerabil rata de supraviețuire. De exemplu, ERC subliniază că întârzierea în inițierea CPR-ului sau calitatea slabă a compresiilor toracice pot duce la leziuni neurologice ireversibile sau la eșecul resuscitării(2)

Un studiu relevant în acest sens este cel publicat de Sumera et al. (2024)(5), care analizează impactul rolului CPR Quality Officer (CQO) în îmbunătățirea calității CPR în simulările pediatrice. Studiul a fost realizat în mai multe centre și a utilizat un design randomizat controlat. CQO oferă feedback în timp real privind calitatea compresiilor toracice, momentul defibrilării și respectarea protocoalelor de administrare a medicației. Rezultatele au arătat îmbunătățiri notabile în adâncimea și ritmul compresiilor, precum și o mai bună coordonare a echipei de intervenție.

Feedback-ul în timp real și rolul

CPR Quality Officer

Introducerea CQO a dus la intervenții CPR mai eficiente și standardizate. Feedback-ul imediat reduce incertitudinile și ajută la corectarea manevrelor în timp real. CQO nu este doar un supraveghetor, ci și un facilitator al învățării continue, consolidând o cultură a calității în echipele de intervenție.

Acest rol este valoros nu doar în timpul simulărilor, ci și în practica clinică, mai ales în spitalele care gestionează frecvent urgențe pediatrice. În mod clar, calitatea CPR are un impact direct asupra circulației sanguine eficiente către organe vitale precum inima și creierul(6)

Articolul „2023 International Consensus on Cardiopulmonary Resuscitation and Emergency Cardiovascular Care Science With Treatment Recommendations”(7) confirmă aceste concluzii și recomandă ferm integrarea feedback-ului în timp real, instruirea continuă și analiza de performanță ca strategii de bază pentru îmbunătățirea rezultatelor.

Resuscitarea extracorporeală (ECPR) și rolul ECMO

O tehnică inovatoare aflată în plină dezvoltare este ECPR, care utilizează un sistem de oxigenare extracorporeală cu membrană (ECMO) pentru a menține funcțiile vitale în timpul resuscitării. Această tehnologie este utilizată în special în cazurile grave de stop cardiac care nu răspund la manevrele standard.

Raymond et al.(8) au investigat impactul calității CPR asupra supraviețuirii până la externare în rândul pacienților pediatrici internați care au necesitat ECPR. Studiul a analizat 157 de pacienți cu vârste sub 18 ani, iar conformitatea cu ghidurile AHA privind epocile de compresii toracice a fost redusă: 0% la sugari, 4% la copii mici și 10% la adolescenți.

Totuși, analiza multivariată a indicat că vârsta pacientului și durata CPR sunt factori determinanți ai supraviețuirii. Pentru fiecare minut suplimentar de CPR, șansa de supraviețuire scade cu 2%. Copiii peste 8 ani au șanse de supraviețuire cu 64% mai mici față de cei mai mici. Această cercetare sugerează că, dincolo de calitatea CPR, cronologia intervenției

Dr. Anita Pop

TEST

Global Hemostasis

Citrated: K, KH, RT, FF

Citrated: K, KH, RT, FF (07-601)

Kaolin TEG1

Kaolin TEG with Heparinase2

RapidTEG3

TEG Functional Fibrinogen4

PlateletMapping®

Mapare plachetara

Mapare plachetara ADP (07-615)

TEG PlateletMapping5

scădere a costurilor Oncologie, Transplant, Obstetrică

Trombelastograful computerizat TEG® 6s

Trombelastograful computerizat TEG® 6s este destinat analizării elasticității cheagului de sânge prin măsurarea proprietăților mecanice de la de inițierea formării până la lizarea acestuia fiind sensibil la toate interacțiunile dintre componentele celulare și plasmatice (factori de coagulare și fibrinoliză).

DESCRIERE

Analiză cu activarea căii intrinseci. Această trasare generată de trombină identifică caracteristicile hemostatice subiacente și riscul de sângerare sau tromboză.

Elimină efectul heparinei în proba de testare. Utilizat împreună cu Kaolin standard TEG, evaluează prezența heparinei sistemice sau a heparinoidelor.

Analiză cu activarea atât a căii intrinseci cât și a celei extrinseci care accelerează procesul de coagulare în vederea obținerii cât mai rapide a proprietăților și caracteristicilor de coagulare.

Un test activat pe cale extrinsecă care utilizează un inhibitor puternic de GPIIb/IIIa plachetar pentru a restricționa funcția plachetară în vederea izolării contribuției fibrinei în coagulare. Utilizat împreună cu Kaolin TEG se poate evalua contribuția relativă a trombocitelor și a fibrinei la tăria globală a cheagurilor.

Include o urmărire specifică a receptorului de trombină și a receptorului trombocitar (ADP/AA). Identifică nivelul inhibării și agregării plachetare, utilizând Kaolin TEG (care reprezintă potențialul hemostatic de bază al pacientului) ca și control.

PROBĂ

Sânge integral citrat

1 Test c

1 Test cantitativ in-vitro care se folosește la monitorizarea pacienților ce prezintă tulburări ale coagulării.

2 Idem

2 Idem 1 pentru pacienți heparinizați.

3 Se folose tratamente cu anticoagulante heparinice, diferen

Sânge integral heparinat

Departamentele pentru care utilizarea TEG® 6s aduce un plus calității actului medical și o scădere a costurilor asociate sunt: Urgențe, ATI, Chirurgie cardio-vasculară, Ortopedie, Neurologie, Oncologie, Transplant, Obstetrică-Ginecologie, Transfuzii, Neonatologie și Pediatrie.

3 Se folosește când este necesară determinarea rapidă (5 – 10minute) a tăriei cheagului de sânge (intervenții chirurgicale, tratamente cu anticoagulante heparinice, diferențierea între coagulopatie și sângerare mecanică).

4 Se folose ambiguită

4 Se folosește pentru a determina și identifica coagulopatiile asociate fibrinogenului (nivelul de fibrinogen, eliminarea ambiguităților asociate tăriei maxime a cheagului, anormalitate genetică legată de fibrinogen, diagnosticare CID).

5 Se folose de hemostaza de bază a pacientul factorilor de risc în evenimentele trombotice, pentru determinarea eficacității terapiei antiplachetare precum și a rezistenț ei trombocitelor la terapie.

5 Se folosește când este necesară monitorizarea strictă a nivelului de inhibare al funcției plachetare de către anticoagulante față de hemostaza de bază a pacientului, pentru identificarea potențialilor factori generatori ai sângerărilor, pentru ierarhizarea factorilor de risc în evenimentele trombotice, pentru determinarea eficacității terapiei antiplachetare precum și a rezistenț ei trombocitelor la terapie.

este vitală, iar vârsta influențează profund prognosticul.

Tehnologiile avansate:

AED-uri și feedback ventilator

Tehnologiile moderne joacă un rol esențial în standardizarea și eficientizarea resuscitării pediatrice. Dispozitivele de feedback în timp real, integrate adesea în AED, oferă date despre frecvența și profunzimea compresiilor, timpii fără compresii și eficiența ventilației. Aceste informații permit echipelor să ajusteze manevrele în timp real, reducând semnificativ variabilitatea performanței.

Un alt aspect relevant este calitatea ventilației, adesea ignorată în practica clinică. Lemoine et al.(9) au arătat că doar 13% dintre participanții la cursurile de BLS au reușit să aplice ventilație corectă în scenarii pediatrice. Mai mult, 62% au hiperventilat pacientul, subliniind necesitatea feedback-ului în timp real pentru îmbunătățirea calității ventilației. De asemenea, s-a constatat o discrepanță semnificativă între evaluările instructorilor și performanța reală a cursanților, evidențiind importanța utilizării dispozitivelor de feedback pentru o evaluare obiectivă și eficientă a competențelor(10)

Integrarea Tehnologiilor și a Noilor

Cercetări în Practica Clinică Progresele recente în resuscitarea pediatrică, de la îmbunătățirea calității CPR, la tehnologiile de feedback în timp real și utilizarea ECMO, sunt esențiale pentru îmbunătățirea rezultatelor în cazurile de stop cardiac pediatric.

Articolul „2025 ERC Resuscitation Guidelines: Shaping the Future of Ventilation!” publicat de Archeon Medical(11) subliniază importanța fundamentală a calității ventilației în timpul CPR și rolul VFD în îmbunătățirea acesteia. Studiile recente și cercetările desfășurate pe parcursul mai multor ani au arătat că o ventilație de calitate superioară poate crește semnificativ șansele de supraviețuire și poate reduce riscurile de daune neurologice în rândul pacienților care au suferit un stop cardiac.

Un aspect important subliniat de articol este nevoia urgentă de îmbunătățire a calității ventilației în timpul CPR. Studiul realizat de A.H. Idris(12) a evidențiat că o proporție semnificativă de pacienți (60%) au fost hipoventilați în timpul re-

suscitării, ceea ce a condus la rate scăzute de supraviețuire. De asemenea, calitatea superioară a ventilației, măsurată prin volumul curent adecvat, a fost asociată cu o creștere de trei ori a ratei de supraviețuire și o șansă de patru ori mai mare de externare cu un prognostic neurologic favorabil.

Pentru a răspunde acestor provocări, studiile au arătat că VFD sunt o soluție eficientă. Într-un studiu de simulare din 2019(13), utilizarea VFD-urilor a condus la o conformitate cu ghidurile de peste 70%, iar volumele curente și frecvențele de ventilație au fost mai consistente, ceea ce a redus semnificativ riscurile de hipoventilație și hiperventilație. Astfel, VFD-urile joacă un rol crucial în îmbunătățirea performanței CPR, asigurând o ventilație mai precisă și mai eficientă.

În concluzie, articolul subliniază importanța critică a calității ventilației în timpul resuscitării și rolul esențial al VFD în îmbunătățirea acesteia(14). Implementarea acestor dispozitive, atât în practica clinică, cât și în formare, poate duce la o ventilație mai eficientă, la creșterea ratelor de supraviețuire și la îmbunătățirea rezultatelor neurologice ale pacienților.

Concluzie

Resuscitarea pediatrică este un domeniu în continuă evoluție, iar integrarea cercetărilor recente, a tehnologiilor avansate și a ghidurilor ERC contribuie semnificativ la creșterea șanselor de supraviețuire și la îmbunătățirea prognosticului neurologic al copiilor care suferă un stop cardiac. Calitatea CPR – atât în ceea ce privește compresiile, cât și ventilația –rămâne un factor esențial, iar roluri inovatoare precum CPR Quality Officer sau utilizarea dispozitivelor de feedback în timp real pot face diferența între viață și moarte. În plus, abordările personalizate în funcție de vârsta copilului, alături de tehnici precum ECPR, oferă noi perspective pentru intervenții mai eficiente. Ghidurile ERC 2025 marchează un pas important spre o resuscitare mai echitabilă, centrată pe pacient și bazată pe dovezi solide, deschizând drumul pentru îmbunătățirea continuă a practicilor clinice în urgențele pediatrice.

Bibliografie

1. European Resuscitation Council. ERC Guidelines 2025 Project – Transparency, Equity, Innovation

in Resuscitation [Internet]. 2025 [cited 2025 Apr 28]. Available from: https://www.erc.edu/projects/ erc-guidelines-2025-project

2. Soar J, Böttiger BW, Carli P, et al. European Resuscitation Council Guidelines 2021: adult advanced life support. Resuscitation. 2021;161:115–151. doi:10.1016/j.resuscitation.2021.02.010.

3. McNally B, Stokes A, Crouch A, Kellermann AL; CARES surveillance group. CARES: cardiac arrest registry to enhance survival. Ann Emerg Med. 2009;54(6):674–683.e2. doi:10.1016/j.annemergmed.2009.03.018.

4. Sasson C, Rogers MAM, Dahl J, Kellermann AL. Predictors of survival from out-of-hospital cardiac arrest: a systematic review and meta-analysis. Circ Cardiovasc Qual Outcomes. 2010;3(1):63–81. doi:10.1161/CIRCOUTCOMES.109.889576.

5. Sumera K, Ilczak T, Bakkerud M, Lane JD, Pallas J, Ortega Martorell S, et al. CPR Quality Officer role to improve CPR quality: A multi-centred international simulation randomised control trial. Resusc Plus. 2024;17:100537. doi:10.1016/j.resplu.2023.100537. PMID:38261942.

6. Christenson J, Andrusiek D, Everson-Stewart S, et al. Chest compression fraction determines survival in patients with out-of-hospital ventricular fibrillation. Circulation. 2009;120(13):1241–1247. doi:10.1161/ CIRCULATIONAHA.109.852202.

7. Berg KM, Bray JE, Ng KC, Liley HG, Greif R, Carlson JN, et al. 2023 International Consensus on Cardiopulmonary Resuscitation and Emergency Cardiovascular Care Science With Treatment Recommendations. Resuscitation. 2024;190:109762. doi:10.1016/j.resuscitation.2023.109762.

8. Raymond TT, Yu P, Esangbedo I, Sweberg T, Lasa JJ, Zhang X, et al. Outcomes after extracorporeal cardiopulmonary resuscitation in pediatric in-hospital cardiac arrest: does quality of CPR matter? Resuscitation. 2025;211:110599. doi:10.1016/j.resuscitation.2025.110599.

9. Lemoine S, Jost D, Petermann A, et al. Compliance with Pediatric Manual Ventilation Guidelines by Professional Basic Life Support Rescuers During Out-of-Hospital Cardiac Arrest: A Simulation Study. Resuscitation. 2024;185:110240.

10. D’Agostino F, et al. Are Instructors Correctly Gauging Ventilation Competence Acquired by Manual Ventilation Trainees? Resuscitation. 2024;185:110240.

11. Archeon Medical. 2025 ERC Resuscitation Guidelines: Shaping the Future of Ventilation! [Internet]. Besançon: Archeon Medical; 2025 [cited 2025 Apr 28]. Available from: https://archeon-medical. com/2025-erc-scope-guidelines/

12. Idris AH, Aramendi Ecenarro E, Leroux B, et al. Bag-Valve-Mask Ventilation and Survival From Out-of-Hospital Cardiac Arrest: A Multicenter Study. Circulation. 2023;148(23):1847–1856.

13. Khoury A, De Luca A, Sall FS, et al. Ventilation feedback device for manual ventilation in simulated respiratory arrest: a crossover manikin study. Scand J Trauma Resusc Emerg Med. 2019;27(1):93.

14. Finney J, et al. PREVENT: The Pediatric EMS Ventilation Pilot Simulation Trial. Pediatric Academic Societies Meeting; 2024. Abstract P-411.

Nutriția enterală - componentă cheie în

managementul

multidisciplinar al pacientului

Nutriția enterală oferă suportul nutritional al pacientului care nu reușește să își asigure necesarul de macro și micronutrienți prin aportul oral. Studiile existente atestă faptul că nutriția enterală este soluția de ales în comparație cu nutriția parenterală, aceasta din urmă fiind grefată de o serie de efecte adverse, atât pe termen scut, cât si raportate la perioade medii sau lungi. Dintre efectele adverse imediate ale nutriției parenterale se pot reține o incidență crescută a complicațiilor infecțiose sau anumite tulburări electrolitice sau metabolice. Incidența crescută a infecțiilor asociate nutriției parenterale totale este explicată de apariția leziunilor la nivelul mucoasei digestive. Pentru pacienții cu patologie cronică, așa cum sunt pacienții cu patologii neurologice care afectează deglutiția, utilizarea pe termen lung a nutriției parenterale crește riscul unor complicații hepatice.

Prof. Univ. Dr. Radu Țincu Medic primar ATI, Disciplina - Toxicologie Clinică, UMF „Carol Davila“

Cel mai important aspect care recomandă utilizarea nutriției enterale este menținerea fiziologiei vilozităților intestinale, reducând riscul de atrofie vilozitară. Inițierea precoce a nutriției enterale menține integritatea barierei mucosae, în acest mod menținând integritatea barierei intestinale.

Protecția mucoasei digestive este realizată prin secreția de IgA si IgM de către limfocite, dar și printr-o serie de mecanisme care nu sunt mediate immunologic, cum ar fi cantitatea și calitatea mucusului, dar și prezența enzimelor digestive. Mucusul reprezintă o barieră fizică care reduce translocația bacteriană, dar și migrația unor xenobiotice în circulația portală.

Pacienții critici au risc ridicat să dezvolte disfuncție digestivă, aproximativ jumătate dintre aceștia vor dezvolta afectarea enterocitelor (1). La pacientul critic o serie de mecanisme complexe explică modul în care apare disfuncția enterală, pornind de la tulburări de motilitate și continuând cu tulburările hemodinamice care afecteaza fluxul sanguine enteral. Administrarea suportului vasopresor modifică perfuzia microvascularizației intestinale. Scăderea perfuziei la acest nivel favorizează apotoza celulară și reduce proliferarea celulelor intestinale (2) .

În cazul paciențiilor critici se remarcă o modificare în compoziția microbiomului intestinal, prin scăderea diversității speciilor care populează zona intestinală.

Disfuncția enterală crește permeabilitatea digestivă, favorizând dezvoltarea sindromului inflamator sistemic.

Nutriția enterală este asociată cu menținerea masei vilozitare. Malnutriția cauzată de o serie de patologii acute sau cronice reprezintă un sindrom complex și multifactorial, in mare parte cauzat de un răspuns inflamator sistemic. Această nouă entitate este asociată cu o creștere a mortalității și morbidității (3)

Multe dintre aceste forme de malnutriție sunt asociate cu un răspuns inflamator important. Inflamația interferă cu motilitatea intestinală (4). În cazul acestor pacienți există și un răspuns neuroendocrin care inițiază mobilizarea depozitelor energetice prin glicoliza, gluconeogenză la nivel hepatic și proteoliza aminoacizilor din musculatură. Aceste efecte fiziologice

favorizează aparitia hiperglicemiei, cu afectarea rezistenței periferice la insulină (5)

Nutriția enterală este indicată pentru menținerea statusului nutrițional. Nutriția enterală este necesară și în cazul paciențiilor cu sindrom de intestin scurt, în funcție de rezerva intestinală restantă. În unele cazuri poate fi necesar ca nutriția enterală să fie completată cu nutriție parenterală.

Nutriția enterală este benefică și în cazul pacienților cu boli inflamatorii intestinale, unde s-a remarcat o creștere a ratelor de remisiune, cu reducerea necesarului de corticoterapie sau intervenții chirurgicale (6)

În continuare principala contraindicație a nutriției parenterale o reprezentă tractul digestiv nefuncțional.

Nutriția enterală precoce este esențială în cazul pacientului critic, atunci când nu există contraindicații relative, cum ar fi: șocul refractar, hipoxemie refractară, hemoragie digestivă superioară incontrolabilă (7). Inițierea precoce a nutriției enterale în primele 72 de ore în cazul pacienților critici cu patologie neurochirurgicală reduce mortalitatea asociată spitalizării și a complicațiilor infecțioase. Nutriția enterală scade necesarul de ventilație mecanică și suport vasopresor (8)

La pacienții bolnavi, răspunsul este modulat de intensitatea răspunsului inflamator (absent la subiecții sănătoși) și de intensitatea modificărilor cheltuielilor energetice (EE), provocând catabolism proteic persistent (9). Magnitudinea modificărilor EE va depinde de stadiul și tipul bolii, precum și de momentul în care a apărut boala (10); EE este în general scăzută în timpul stărilor de șoc și în stadiile incipiente ale bolii severe (11) și crește variabil ulterior, în funcție de intensitatea răspunsului inflamator și de cantitatea de țesut de reparat. Deși este considerată standardul de aur, calorimetria indirectă nu este încă disponibilă pe scară largă, ceea ce complică evaluarea țintelor energetice optime și interpretarea rezultatelor. O mai mare disponibilitate a calorimetriei indirecte și evaluarea dacă și în ce moment EE măsurat devine cu adevărat ținta care trebuie prescrisă pentru hrănire este o problemă importantă de luat în considerare. Gestionarea terapiei nutriționale la pacienții aflați în stare critică este complexă din cauza inflamației continue, a stresului catabolic și a cerințelor metabolice în schimbare care apar

pe parcursul unei boli. Pacienții din Unitatea de Terapie Intensivă reprezintă o populație diversă și este imposibil să se recomande o abordare universală. Strategiile nutriționale trebuie să țină cont de diagnosticul fiecărui pacient, de faza bolii (precoce, stabilizare, recuperare, reabilitare) și de orice complicații posibile. Evaluarea nutrițională trebuie efectuată la internarea în terapie intensivă și monitorizată pe tot parcursul șederii. Sunt necesare studii suplimentare pentru a stabili indicatori fiabili de monitorizare a nutriției pentru a evalua răspunsurile pacienților la intervențiile nutriționale.

Bibliografie

(1) Piton G, Belon F, Cypriani B, Regnard J, Puyraveau M, Manzon C, et al. Enterocyte damage in critically ill patients is associated with shock condition and 28-day mortality. Crit Care Med 2013;41:2169–76.

(2) Li H, Zhang D, Wang Y, Zhao S. Association between acute gastrointestinal injury grading system and disease severity and prognosis in critically ill patients: a multicenter, prospective, observational study in China. J Crit Care 2016;36:24–8.

(3) Schuetz P, Fehr R, Baechli V, et al. Individualised nutritional support in medical inpatients at nutritional risk: a randomised clinical trial. Lancet. 2019; 393(18): 2312-2321.

(4) Frazer C, Hussey L, Bemker M. Gastrointestinal Motility Problems in Critically Ill Patients. Crit Care Nurs Clin North Am. 2018 Mar;30(1):109-121. doi: 10.1016/j. cnc.2017.10.010

(5) Marik PE, Bellomo R. Stress hyperglycemia: an essential survival response! Crit Care. 2013 Mar 6;17(2):305. doi: 10.1186/cc12514. PMID: 23470218; PMCID: PMC3672537.

(6) Shah, N.D.; Parian, A.M.; Mullin, G.E.; Limketkai, B.N. Oral diets and nutrition support for inflammatory bowel disease. What is the evidence? Nutr. Clin. Pract. 2015, 30, 462–473 (7) Singer P, Blaser AR, Berger MM, Calder PC, Casaer M, Hiesmayr M, Mayer K, Montejo-Gonzalez JC, Pichard C, Preiser JC, et al. ESPEN practical and partially revised guideline: clinical nutrition in the intensive care unit. Clin Nutr. 2023;42(9):1671–89.

(8) Choi YK, Kim HJ, Ahn J, Ryu JA. Impact of early nutrition and feeding route on clinical outcomes of neurocritically ill patients. PLoS ONE. 2023;18(3):e0283593.

(9) Wolfe, R.R. Regulation of skeletal muscle protein metabolism in catabolic states. Curr. Opin. Clin. Nutr. Metab. Care 2005, 8, 61–65.

(10) Oshima, T.; Berger, M.M.; De Waele, E.; Guttormsen, A.B.; Heidegger, C.P.; Hiesmayr, M.; Singer, P.; Wernerman, J.; Pichard, C. Indirect calorimetry in nutritional therapy. A position paper by the ICALIC study group. Clin. Nutr. 2017, 36, 651–662

(11) Arabi, Y.M.; Casaer, M.P.; Chapman, M.; Heyland, D.K.; Ichai, C.; Marik, P.E.; Martindale, R.G.; McClave, S.A.; Preiser, J.C.; Reignier, J.; et al. The intensive care medicine research agenda in nutrition and metabolism. Intensive Care Med. 2017, 43, 1239–1256

SOLUȚIA COMPLETĂ PENTRU EFICIENȚĂ ÎN A.T.I.

CINE SUNTEM NOI

Încă din 1999, pentru a crește calitatea vieții din România, am căutat să ne extindem perspectivele și direcțiile de dezvoltare pentru a răspunde la cât mai multe nevoi din sectorul medical. Prin urmare, am reușit să devenim un lider de piață și un partener de încredere pentru toți clienții noștri, prin oferirea de soluții integrate la cheie, a căror performanță a fost demonstrată în cadrul a mai multor proiecte de amploare și medii spitalicești la nivel național.

Totodată, societatea noastră a implementat și menține cu succes sistemele de management al calității în domeniul dispozitivelor medicale și al mediului, o activitate garantată și acreditată prin standardele ISO 9001, ISO 13485 și ISO 14001

CELE 3 DOMENII DE ACTIVITATE

Proiectarea și implementarea de camere curate

Distribuția și integrarea de echipamente medicale de înaltă performanță

Proiectarea, execuția și instalarea sistemelor de gaze și fluide medicale

PROLUNG®

Toraymixin - Hemoperfuzie cu Polimixin B

Terapie complementară pentru pacienții cu șoc septic endotoxinic

Hemofeel – Membrană PMMA pentru terapie continuă de substituție renală

Membrană revoluționară în gestionarea insu cienței renale acute și susținerea funcțiilor multiorganice

Prolung - Eliminare extracorporală mini-invazivă a CO2

Protecție pulmonară

EAA™ – Test de activitate endotoxinică

Utilizat pentru detectarea activității endotoxinelor în sângele uman integral. Testul se efectuează în mai puțin de 30 de minute și este singurul test disponibil care măsoară cu acuratețe activitatea endotoxinică în sângele integral. A fost utilizat în studiul EUPHRATES pentru a ghida terapia cu hemoperfuzie cu Polimixină B (Toraymyxin®) la pacienții cu șoc septic endotoxinic.

Caracteristici principale:

• Singurul test aprobat de FDA pentru detectarea activității endotoxinelor în sângele uman

• Durată de efectuare: sub 30 de minute

• Utilizat pentru stratificarea riscului și ghidarea terapiei în șocul septic

Turn static files into dynamic content formats.

Create a flipbook
Issuu converts static files into: digital portfolios, online yearbooks, online catalogs, digital photo albums and more. Sign up and create your flipbook.