Medical Market - Radiologie și Imagistica medicală 2025

Page 1


Conf. Univ. Dr. Radu Baz

Presedinte SRIMR

Prof. Univ. Dr. Danisia Haba

Departamentul de Chirurgie Orală și Maxilo-Facială, UMF „Grigore T. Popa”, Iași

Prof. Univ. Dr. Ioana Andreea Gheonea

UMF Craiova

Prof. Dr. Monica Lupşor-Platon

IRGH ,,Prof. Dr. Octavian Fodor’’, UMF ,,Iuliu Haţieganu’’, Cluj-Napoca

Conf. Univ. Dr. Anca Ciurea

UMF „Iuliu Hațieganu”, Cluj-Napoca

Conf. Univ. Dr. Bogdan Popa

UMF „Carol Davila“, București

Conf. Univ. Dr. Mihaela Boț

UMF „Carol Davila“, București

Dr. Dan Adrian Stănescu

Coordonator Dept. de Medicină Nucleară și Ecografie, Institutul Clinic Fundeni

Citește revista integral

Radiologie și Imagistică medicală

RMN Canon Galan Supreme- excelență în imagistica prin rezonanță magnetică

În medicina modernă, precizia diagnostică și confortul pacientului sunt esențiale. Canon Galan Supreme se remarcă prin integrarea unor tehnologii de ultimă generație care oferă imagini de o claritate excepțională, optimizând în același timp fluxul de lucru și experiența pacienților.

Performanța acestui sistem se bazează pe tehnologiile avansate AiCE (Advanced intelligent Clear-IQ Engine) și PIQE (Precise IQ Engine), care folosesc inteligența artificială pentru a crește raportul semnal-zgomot (SNR), a spori rezoluția imaginilor și a reduce zgomotul vizual. Rezultatul constă în detalii anatomice precise, esențiale pentru un diagnostic sigur și rapid.

Canon Galan Supreme este proiectat pentru eficiență maximă. Funcții precum Compressed SPEEDER ce accelerează scanările, și Auto Scan Assist, care aliniază automat secțiunile anatomice, reduc considerabil timpul de examinare și cresc productivitatea, permițând investigarea unui număr mai mare de pacienți într-un timp mai scurt.

Confortul pacientului este o prioritate. Gantry-ul cu diametru larg (71 cm), minimizează senzația de claustrofobie, iar tehnologiile Pianissimo și Pianissimo Zen reduc zgomotul

acustic cu până la 97%, făcând investigațiile mai ușor de tolerat, în special pentru copii și pacienți anxioși.

Fiabilitatea pe termen lung este garantată prin faptul că toate componentele – magnetul, bobinele și sistemul RF – sunt fabricate integral de Canon. Magnetul de înaltă performanță, produs în Japonia, asigură stabilitate și omogenitate, esențiale pentru obținerea unor imagini constante și precise.

Un alt avantaj îl reprezintă posibilitatea realizării de investigații non-contrast, precum MR angiografie sau perfuzie cerebrală, care reduc riscurile pentru pacienți. În plus, funcțiile de corecție a mișcării asigură o acuratețe ridicată chiar și atunci când pacientul nu poate rămâne complet nemișcat. Versatilitatea Canon Galan Supreme permite o gamă largă de examinări, inclusiv Cardiac MRI, fMRI (imagistică funcțională cerebrală) și spectroscopie MR, ceea ce îl transformă într-un echipament ideal atât pentru diagnosticul de rutină, cât și pentru cercetare avansată.

Prin combinarea tehnologiei inteligente, a imaginii de înaltă calitate și a confortului pentru pacient, Canon Galan Supreme stabilește noi standarde în imagistica medicală, oferind medicilor instrumente precise și pacienților o experiență sigură și lipsită de stres.

„Ne dorim ca ediția din acest an a Congresului SRIM să fie mai concentrată și mai eficientă. Am gândit un program condensat, dar care include microcursuri atât pentru medici, cât și pentru tehnicieni.“

Interviu cu Conf. Univ. Dr. Radu Octavian Baz

Cursă contra timp: impactul imagisticii cranio-cerebrale în diagnosticul accidentului vascular cerebral

Prof. Univ. Dr. Danisia Haba, Dr. Costin Chirică

Inteligența Artificială în Radiologie: Revoluția Imagisticii Medicale

Prof. Univ. Dr. Ioana Andreea Gheonea, Asist. Univ. Dr. Cristina Ciofiac, Asist. Univ. Dr. Rossy Vlăduț Teică, Dr. Mihai Alexandru Ene

Rolul elastografiei ultrasonografice în evaluarea neinvazivă a hepatopatiilor difuze

6

8

14

Prof. Dr. Monica Lupşor-Platon, Dr. Andreea Morariu-Barb 18

A opera sau a nu opera? Raspunsul ecografistului

Dr. Dan Adrian Stănescu 24

Cum să evităm rezultatele fals pozitive în rezonanța magnetică mamară

Conf. Univ. Dr. Anca Ciurea

Imagistica cardiacă – rol, metode și perspective

Conf. Univ. Dr. Bogdan Popa

Malformațiile arteriovenoase uterine, provocări de diagnostic și management terapeutic

Conf. Univ. Dr. Mihaela Boț

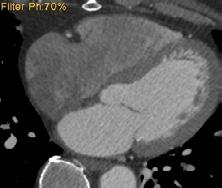
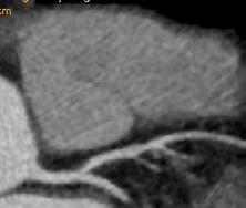
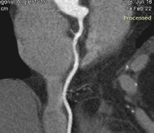
Conceptul de placă de aterom vulnerabilă – cum este integrat în noua paradigmă de stratificare a riscului de eveniment coronarian acut și care este rolul examinării CT coronariene

Dr. Ofelia Niță

De la suspiciunea de cancer de sân la diagnosticul corect: calcifilaxia mamară și utilitatea teleradiologiei

Dr. Miruna Elena Ispas, Dr. Radu Lucian Dumitru, Dr. Mihai Gheorghe Toma

Copierea fără acordul scris al editurii a oricăror elemente de grafică sau conținut editorial apărute în revistele editurii sunt considerate furt de proprietate intelectuală și intră sub incidența legii.

Trimite email pe adresa redactie@finwatch.ro, solicită un abonament la revista Medical Market şi primeşti 10 puncte EMC.

Consultant medical: Dr. Aurora Bulbuc, medic primar Medicină de familie Editor Calea Rahovei, nr. 266-268, Sector 5, Bucureşti, Electromagnetica Business Park, Corp 01, et. 1, cam. 4 Tel: 021.321.61.23 e-mail: redactie@finwatch.ro ISSN 2286 - 3443

Dep. Imagistică, IRGN ,,Prof. Dr. Octavian Fodor’’, UMF ,,Iuliu Haţieganu’’, Cluj-Napoca

Ofelia Nita

Institutul Clinic Fundeni, TDI Radiology

Radu Lucian Dumitru

Clinic Fundeni, TDI Radiology

Mihai Gheorghe Toma Institutul Clinic Fundeni, TDI Radiology

Dr. Costin Chirică
Asist. Univ. Dr. Cristina Ciofiac
UMF Craiova
Asist. Univ. Dr. Rossy Vlăduț Teică
UMF Craiova
Asist. Univ. Dr. Mihai Alexandru Ene
UMF Craiova
Dr. Andreea Morariu Barb
Dr. Miruna Elena Ispas
„Ne dorim ca ediția din acest an a Congresului SRIM să fie mai concentrată și mai eficientă. Am gândit un program condensat, dar care include microcursuri atât pentru medici, cât și pentru tehnicieni.“

Interviu realizat împreună cu Conf. Univ. Dr. Radu Octavian Baz, Președinte SRIM

Perioada 2024-2025 a fost una extrem de plină pentru membrii SRIM dar, cu permisiunea dumneavoastră, din economie de timp şi spațiu, ne vom referi la câteva evenimente mai importante.

Primul ar fi Congresul European de Radiologie Pediatrică, pe care vă rugăm să îl treceți în revistă cu cele mai importante concluzii.

Congresul European de Radiologie Pediatrică, desfășurat în acest an la București, a adus în discuție teme de mare actualitate pentru imagistica adresată copilului. S-a pus accent pe reducerea expunerii la radiații, prin tehnologii optimizate și imagistică non-invazivă, dar și pe standardizarea protocoalelor la nivel european. Un capitol aparte a fost dedicat inteligenței artificiale, văzută ca un sprijin real pentru medic, capabil să crească acuratețea diagnosticului. Totodată, s-a subliniat nevoia de colaborare interdisciplinară între radiologi, pediatri și chirurgi pediatri, pentru o abordare completă a pacientului copil.

Al doilea eveniment major, organizat de SRIM alături de Societățile Franceză şi Germană de Radiologie şi cu sprijinul Universității „Ovidius” din Constanța, a fost Școala de Vară. Care dintre rezultatele acestei reuniuni apreciați că merită menționate?

Școala de Vară de Radiologie din acest an a fost una dintre cele mai reușite ediții. Au fost abordate în special patologia toraco-pulmonară și cea hepato-biliară, cu accent pe rolul tehnicilor moderne în diagnosticul precoce. Totodată, a fost evidențiat rolul radiologiei intervenționale în tratamente minim invazive, care schimbă modul de raportare la pacient.

Prezentările despre inteligența artificială au arătat că aceasta poate eficientiza semnificativ munca medicului, fără a o substitui. Dincolo de conținut, evenimentul a consolidat relațiile internaționale și a oferit tinerilor medici ocazia de a învăța direct de la experți de renume.

Urmează principalul eveniment al SRIM în 2025, ediția cu numărul 28 a Congresului anual, pe care ati anunțat-o ca fiind bazată pe un nou concept. În ce constă acesta şi care sunt beneficiile lui pentru membrii Societății ce o reprezentați?

Ne dorim ca ediția din acest an a Congresului SRIM să fie mai concentrată și mai eficientă. Am gândit un program condensat, dar care include microcursuri atât pentru medici, cât și pentru tehnicieni. De asemenea, vom organiza sesiuni și mese rotunde susținute de grupurile partenere: imagistică cardiovasculară, abdominală și gastrointestinală, radiologie pediatrică, imagistica sânului, ș.a.m.d. O mare satisfacție ne aduce prezența unor invitați internaționali de prestigiu din Franța, Germania, Italia, Austria, Spania, SUA și Israel, care vin cu o experiență bogata direct la București și astfel vor crește

calitatea manifestării. Beneficiul pentru membrii noștri este clar: acces rapid la informații de vârf într-un cadru interactiv și interdisciplinar.

Congresul va fi precedat, la fel ca în ultimii doi ani, de un curs al programului ESOR Visiting Professorship, organizat şi de această dată în parteneriat cu Societatea Europeană de Radiologie (ESR). Având în vedere şi evenimentele amintite anterior, apreciați că se poate vorbi despre o mai strânsă colaborare între SRIM şi organizațiile echivalente de nivel european?

Cu siguranță, da. Parteneriatul cu ESR, prin programul ESOR Visiting Professorship, confirmă integrarea noastră în familia europeană a Radiologiei. Reamintesc că este al 3-lea an consecutiv când organizăm acest curs în deschiderea Congresului SRIM și ne dorim ca aceasta să devină o tradiție. În plus, am consolidat colaborările cu Societățile Germană și Franceză de Radiologie, prin proiecte educaționale comune. Un pas important îl reprezintă și schimburile de rezidenți cu Societățile din Ungaria și Republica Moldova, prin programe care le oferă tinerilor medici experiență internațională și șansa de a lucra în echipe multidisciplinare europene. Toate aceste inițiative arată că SRIM este un partener activ și respectat pe scena radiologiei internaționale. Merită menționată, ca o componentă importantă a lucrărilor Congresului şi sesiunea dedicată operatorilor şi tehnicienilor din Imagistica Medicală, profesionişti care contribuie esențial la succesul specialiştilor dumneavoastră. Fără îndoială că aceştia au nevoie de tot

sprijinul SRIM pentru perfecționare şi pentru continua adaptare la noutățile tehnice în cea mai dinamică specialitate medicală.

Tehnicienii din Imagista Medicală au un rol esențial. Radiologia nu poate exista fără profesionalismul și implicarea acestora. Ei sunt primii care interacționează cu pacientul și cei care asigură calitatea imaginilor pe care le interpretăm. Sesiunea dedicată lor în cadrul Congresului este o dovadă de respect și în același timp, o oportunitate de perfecționare și adaptare la noile tehnologii.

Ați anunțat, deasemenea, o nouă sesiune a examenului EDiR, care se va organiza în cadrul lucrărilor Congresului, inițiativă ce a debutat

cu mult succes anul trecut. Am aprecia câteva cuvinte despre sesiunile de pregatire preliminară în vederea examenului, cu unele adăugiri privind şi experiențele interactive oferite de o nouă ediție escape room.

După succesul debutului de anul trecut, ne bucurăm să putem organiza din nou examenul EDiR în România. Pregătirea include cursuri speciale, sesiuni interactive și simulări de examen. În plus, păstrăm componenta inovativă – escape room medical – unde participanții rezolvă cazuri imagistice într-un cadru competitiv și educativ. Este o experiență care îmbină învățarea cu spiritul de echipă și cu distracția.

Cu mulțumiri pentru bunăvoința de a ne acorda acest interviu, vă rugăm să încheiați adresându-vă direct membrilor SRIM, care vor participa fizic la lucrari, sau vor fi alături de dumneavoastră din unitățile medicale unde activează.

Dragi colegi, vă așteptăm cu drag la Congresul SRIM 2025, ce se va desfășura în București. Este un eveniment pentru și despre comunitatea noastră, o ocazie de a învăța, de a colabora și de a face Radiologia românească mai vizibilă în Europa. Vă mulțumim pentru profesionalism și pentru devotamentul cu care vă desfășurați activitatea zi de zi, SRIM există pentru dumneavoastră și datorită dumneavoastră.

Cursă contra timp: impactul

imagisticii cranio-cerebrale

în diagnosticul accidentului vascular cerebral

Race against time: the impact of craniocerebral imaging in the diagnosis of stroke

Stroke (CVA) is a medical emergency characterized by the sudden interruption of blood flow to a part of the brain, with damage or death of brain cells (Kundeti et al., 2021). This critical condition, predominantly classified into ischemic and hemorrhagic strokes, requires rapid medical intervention to minimize permanent neurological damage and improve the patient’s prognosis. Rapid recognition of symptoms and immediate access to medical facilities equipped with advanced imaging capabilities are therefore imperative in optimizing stroke management (Soun et al., 2023).

Departamentul de Chirurgie Orală și Maxilo-Facială, UMF „Grigore T. Popa”, Iași

Dr. Costin Chirică

Școala Doctorală, UMF „Grigore T. Popa”, Iași

Accidentul vascular cerebral (AVC) –diagnostic vital

AVC reprezintă o problemă majoră de sănătate publică la nivel mondial, fiind una dintre principalele cauze de mortalitate și dizabilitate (Gauriau et al., 2023). Cu aproximativ 5,5 milioane de decese anual, AVC este a doua cauză principală de mortalitate la nivel global, cu un impact economic estimat la 34 de miliarde de dolari anual numai în Statele Unite (Soun et al., 2020). Aceste statistici subliniază urgența dezvoltării și implementării unor metode diagnostice rapide și precise pentru a îmbunătăți prognosticul pacienților și a reduce povara socio-economică asociată (Săceleanu et al. 2023, Mallula et al. 2020).

În contextul tulburărilor neurologice, care reprezintă a doua cauză principală de deces la nivel global, cu 9 milioane de decese anual, și principala cauză de dizabilitate, imagistica cranio-cerebrală joacă

un rol crucial în diagnosticarea și gestionarea eficientă a AVC (Shoghli et al., 2023). În ciuda progreselor înregistrate în terapiile avansate, cum ar fi trombectomia endovasculară și tratamentul trombolitic, persistența disparităților în ceea ce privește accesul la diagnostic și tratament subliniază importanța inovațiilor în imagistica medicală (Abdi et al., 2025).

Așadar, AVC ischemic în particular, este o afecțiune cerebrovasculară predominantă, caracterizată prin ischemie și hipoxie cerebrală, cauzate de o obstrucție a fluxului sanguin cerebral, asociată cu rate ridicate de dizabilitate și recurență (Liu et al., 2024). Identificarea precoce și precisă a AVC ischemic este esențială pentru inițierea rapidă a intervențiilor terapeutice, optimizarea rezultatelor clinice și minimizarea sechelelor pe termen lung (Patil et al., 2022).

Imagistica – element definitoriu pentru diagnosticul precoce al AVC

Integrarea imagisticii cranio-cerebrale avansate este fundamentală pentru o evaluare rapidă și detaliată a leziunilor cerebrale, permițând diferențierea tipurilor de AVC și ghidarea deciziilor terapeutice (Săceleanu et al., 2023). Deși tomografia computerizată (CT) este modalitatea imagistică inițială cel mai frecvent utilizată datorită rapidității și disponibilității sale, imagistica prin rezonanță magnetică (IRM) a câștigat teren în evaluarea AVC

ischemic acut, oferind o evaluare superioară a integrității parenchimului, viabilității țesuturilor și extinderii leziunilor ischemice (Cortés-Albornoz et al., 2025). Mai mult, IRM-ul prezintă o sensibilitate și specificitate superioare în detectarea modificărilor acute legate de AVC, cum ar fi edemul citotoxic în stadiile incipiente, și poate estima momentul debutului AVC pe baza neconcordanței dintre imaginile ponderate în difuzie (DWI) și cele recuperate prin inversie atenuată prin fluid (FLAIR). Aceste capacități fac din IRM o modalitate imagistică de elecție pentru cazurile complexe, unde precizia diagnosticului influențează direct managementul terapeutic (Bhat et al., 2020).

Totuși, disponibilitatea limitată a IRM-ului în multe centre medicale, în special în regiunile rurale, face ca CT să rămână o metodă imagistică esențială și adesea singura modalitate accesibilă pentru evaluarea inițială a AVC acut (Bhat et al., 2020). Această realitate subliniază necesitatea unor protocoale imagistice adaptate resurselor locale, care să maximizeze beneficiile diagnostice ale fiecărei modalități.

Deși AVC ischemic acut rămâne una dintre cele mai frecvente cauze de deces și dizabilitate la nivel global, este o afecțiune potențial tratabilă dacă este gestionată în mod corespunzător și în timp util (Byrne et al., 2020). Astfel, progresele în neuroimagistică au transformat radical abordarea diagnosticului și tratamentului AVC ischemic, permițând identificarea rapidă a ocluziilor vaselor mari și ghidând deciziile terapeutice urgente (Abdalkader et al., 2023). Această evoluție este crucială,

Prof. Univ. Dr. Danisia Haba

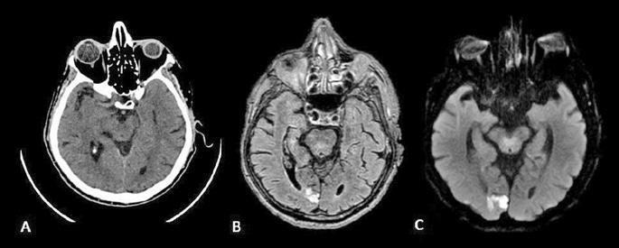
Figura 1. Pacient de 57ani cu simptomatologie acută sugestivă pentru AVC ischemic acut: CT -ul nativ nu a decelat elemente de semiologie sugestive pentru AVC ischemic acut (A), însă secvențele IRM au evidențiat o arie în hipersemnal FLAIR (B) și cu restricție de difuzie (C) localizată occipital paramedian dreapta, sugestivă pentru AVC ischemic acut (Spitalul Clinic de Urgență „Prof. N. Oblu“, Iași)

în special având în vedere că AVC ischemic este tipul dominant, reprezentând o majoritate semnificativă a tuturor cazurilor de AVC (Ali et al., 2021). În acest context, imagistica de perfuzie CT și IRM sunt modalități esențiale pentru evaluarea viabilității parenchimului cerebral și a vaselor compromise, informații critice pentru analiza raportului risc-beneficiu în tratamentul AVC acut (Rigsbee et al., 2019). Deși CT-ul este mai frecvent utilizat datorită rapidității sale, IRM-ul oferă informații superioare și o sensibilitate crescută pentru infarctele mici, fiind capabil să diferențieze cu precizie AVC de alte afecțiuni, precum convulsiile sau migrenele (Nukovic et al., 2023).

De asemenea, în ciuda progreselor, identificarea precoce a accidentului vascular cerebral ischemic acut și diferențierea sa de hemoragia intracraniană rămân provocări clinice semnificative, deoarece manifestările clinice pot fi similare (Tapkan et al., 2020). Prin urmare, imagistica cranio-cerebrală rapidă și precisă, în special CT-ul fără contrast, este esențială pentru a exclude hemoragia intracraniană și a permite inițierea promptă a tratamentului trombolitic în cazurile de AVC ischemic (Patil et al., 2022).

Imagistica avansată, în special cea de perfuzie, a revoluționat tratamentul AVC ischemic acut prin extinderea ferestrei terapeutice și optimizarea selecției pacienților pentru terapii de revascularizare (Inoue & Toyoda, 2021). Această tehnică, denumită angio-CT, permite evaluarea viabilității țesuturilor cerebrale, identificând regiunile de penumbră ischemică care pot fi salvate prin intervenții rapide

(Halil, 2023). Această abordare este crucială în ghidarea deciziilor privind tromboliza intravenoasă și trombectomia mecanică, mai ales în situațiile în care prezentarea pacientului depășește fereastra de timp tradițională pentru intervenție (Halil, 2023).

Avantajele

și dezavantajele tehnicilor

imagistice în diagnosticul AVC

Tehnicile imagistice joacă un rol fundamental în diferențierea tipurilor de AVC – ischemic sau hemoragic și în ghidarea deciziilor terapeutice (Ali et al., 2021). Printre modalitățile imagistice esențiale se numără CT și IRM, fiecare cu avantaje și limitări specifice în contextul diagnosticării AVC (Nukovic et al., 2023, Abdalkader et al., 2023).

Deși diagnosticul de AVC este primar clinic, imagistica cerebrală, în special CT, este investigația inițială de elecție pentru majoritatea pacienților suspecți de AVC, având o acuratețe excelentă în excluderea hemoragiei intracraniene (Shukla et al., 2022). Totuși, în ciuda rolului său crucial în faza acută pentru excluderea hemoragiei, CT standard prezintă o sensibilitate limitată în detectarea leziunilor ischemice minore sau în stadiile incipiente (Tapkan et al., 2020).

În contrast, imagistica prin rezonanță magnetică, în special secvențele de difuzie, oferă o sensibilitate superioară pentru detectarea precoce a infarctului ischemic,

fiind capabilă să identifice modificări la nivel celular la doar câteva minute după debutul simptomelor (Figura 1) (Mouridsen et al., 2020), (Nukovic et al., 2023). De asemenea, IRM este capabilă să ofere o evaluare superioară a integrității parenchimului cerebral, a viabilității țesutului și a extinderii leziunii ischemice, facilitând o caracterizare mai detaliată a AVC-ului ischemic (Cortés-Albornoz et al., 2025).

Noi perspective – rolul inteligenței

artificiale

în diagnosticul AVC

În zilele noastre, progresele tehnologice subliniază importanța imagisticii ultra-rapide prin aportul inteligenței artificiale (AI), care poate reduce semnificativ timpul de achiziție, menținând în același timp calitatea imaginii pentru un diagnostic comprehensiv al AVC ischemic acut (Verclytte et al., 2023). AI contribuie la acest obiectiv prin algoritmi care analizează rapid imaginile, identificând anomalii subtile și cuantificând caracteristicile țesuturilor, facilitând astfel diagnosticul precis și în timp util (Broocks & Meyer, 2023).

De exemplu, instrumentele bazate pe AI pot genera automat scoruri cantitative precum scorul Alberta Stroke Program Early CT (ASPECTS) de pe CT-uri non-contrast și pot procesa hărți de perfuzie pentru a determina țesutul cerebral recuperabil pe imagistica CT sau IRM de perfuzie (Lotan, 2020). Aceste progrese în AI aplicată imagisticii au un potențial considerabil de a optimiza fluxul de lucru clinic, permițând o luare a deciziilor terapeutice mai rapidă și mai informată în cazurile de AVC acut (Soun et al., 2020). Astfel, platforme comerciale bazate pe AI au fost dezvoltate pentru a sprijini profesioniștii din domeniul sănătății în evaluarea rapidă și precisă a pacienților cu AVC (Al‐Janabi et al., 2024). Aceste sisteme pot detecta ocluziile vasculare acute în mai puțin de două minute, contribuind la o diagnosticare și tratament accelerat (Brugnara et al., 2023).

Prin urmare, instrumentele software, utilizând metodologii de AI, pot identifica patologii acute ale țesutului cerebral ischemic, obstrucții arteriale și hemoragii cerebrale, îmbunătățind semnificativ acuratețea și viteza diagnosticului

(Wardlaw et al., 2022). Aceste tehnologii, adesea bazate pe rețele neuronale convoluționale, au demonstrat o performanță comparabilă cu cea a neuroradiologilor, îmbunătățind fluxurile de lucru clinice și implicit, rezultatele pacienților (Chandrabhatla et al., 2023).

Concluzii

Studiile recente evidențiază rolul crucial al neuroimagisticii în diagnosticul rapid și precis al AVC, având un impact direct asupra selecției pacienților pentru terapii de urgență (Abdalkader et al., 2023), (Byrne et al., 2020). Această abordare este esențială pentru optimizarea rezultatelor clinice și minimizarea sechelelor neurologice pe termen lung, dat fiind că timpul este un factor determinant în recuperarea post-AVC (Săceleanu et al., 2023). În cazul AVC ischemic, identificarea rapidă a ocluziei vasculare și a țesutului cerebral recuperabil prin tehnici avansate de imagistică, permite inițierea tratamentelor trombolitice sau endovasculare în fereastra terapeutică optimă, conform ghidurilor internaționale (Nael et al., 2019) (Radwan, 2021). În acest context, angio-CT-ul cranio-cerebral se dovedește a fi un instrument indispensabil pentru detectarea ocluziilor vaselor mari și pentru ghidarea deciziilor terapeutice (Almekhlafi et al., 2019). Implementarea AI, în special a rețelelor neuronale convoluționale, în analiza imaginilor CT promite o accelerare semnificativă și o standardizare a diagnosticului, depășind limitările legate de expertiza radiologului și variabilitatea interpretării (Abdi et al., 2025). Această tehnologie avansată permite detectarea rapidă a anomaliilor subtile și cuantificarea caracteristicilor țesuturilor, îmbunătățind acuratețea diagnostică și promptitudinea intervenției (Broocks & Meyer, 2023). În plus, modelele de învățare profundă, antrenate pe seturi mari de date, pot identifica chiar și infarctele mici, pot evalua volumul leziunilor și pot prezice răspunsurile la tratament (Soun et al., 2020), (Brugnara et al., 2023). Integrarea AI în neuroradiologie oferă soluții inovatoare pentru diagnosticarea și gestionarea urgențelor neurologice, cum este AVC (AbuAlrob & Mesraoua, 2024), iar radiologul trebuie să aibă abilitatea de a corela datele AI cu cele clinice pentru un rezultat cat mai rapid posibil în urgență.

Bibliografie

1. Abdalkader, M., Siegler, J. E., Lee, J. S., Yaghi, S., Qiu, Z., Huo, X., Miao, Z., Campbell, B., & Nguyen, T. N. (2023). Neuroimaging of Acute Ischemic Stroke: Multimodal Imaging Approach for Acute Endovascular Therapy [Review of Neuroimaging of Acute Ischemic Stroke: Multimodal Imaging Approach for Acute Endovascular Therapy]. Journal of Stroke, 25(1), 55.

2. Abdi, H., Sattar, M. U., Hasan, R., Dattana, V., & Mahmood, S. (2025). Stroke Detection in Brain CT Images Using Convolutional Neural Networks: Model Development, Optimization and Interpretability. Information, 16(5), 345.

3. Adamou, A., Beltsios, E., Bania, A., Gkana, A., Kastrup, A., Chatziioannou, A., Politi, M., & Papanagiotou, P. (2022). Artificial intelligence-driven ASPECTS for the detection of early stroke changes in non-contrast CT: a systematic review and meta-analysis [Review of Artificial intelligence-driven ASPECTS for the detection of early stroke changes in non-contrast CT: a systematic review and meta-analysis]. Journal of NeuroInterventional Surgery, 15. BMJ.

4. Al‐Janabi, O., Refaei, A. E., Elgazzar, T., Mahmood, Y. M., Bakir, D., Gajjar, A. A., Alateya, A., Jha, S. K., Ghozy, S., Kallmes, D. F., & Brinjikji, W. (2024). Current Stroke Solutions Using Artificial Intelligence: A Review of the Literature [Review of Current Stroke Solutions Using Artificial Intelligence: A Review of the Literature]. Brain Sciences, 14(12), 1182. Multidisciplinary Digital Publishing Institute.

5. Ali, M. A. A., Alameen, S., Abdelrhem, M. A., & Alamin, A. (2021). Role of Computed Tomography in Evaluation Cerebrovascular Disease. Scholars Journal of Applied Medical Sciences, 9(4), 528.

6. Almekhlafi, M., Kunz, W. G., Menon, B. K., McTaggart, R., Jayaraman, M., Baxter, B., Heck, D., Frei, D., Derdeyn, C. P., Takagi, T., Aamodt, A. H., Fragata, I., Hill, M. D., Demchuk, A. M., & Goyal, M. (2019). Imaging of Patients with Suspected Large-Vessel Occlusion at Primary Stroke Centers: Available Modalities and a Suggested Approach. American Journal of Neuroradiology.

7. Bhat, S. S., Fernandes, T., Poojar, P., Ferreira, M. D. S., Padma, C. R., Hanumantharaju, M. C., Ogbole, G., Nunes, R. G., & Geethanath, S. (2020). Low‐Field MRI of Stroke: Challenges and Opportunities [Review of Low‐Field MRI of Stroke: Challenges and Opportunities]. Journal of Magnetic Resonance Imaging, 54(2), 372. Wiley. 8. Broocks, G., & Meyer, L. (2023). New Advances in Diagnostic Radiology for Ischemic Stroke. Journal of Clinical Medicine, 12(19), 6375.

9. Brugnara, G., Baumgartner, M., Scholze, E. D., Deike‐Hofmann, K., Kades, K., Scherer, J., Denner, S., Meredig, H., Rastogi, A., Mahmutoglu, M. A., Ulfert, C., Neuberger, U., Schönenberger, S., Schlamp, K., Bendella, Z., Pinetz, T., Schmeel, F. C., Wick, W., Ringleb, P. A., … Kickingereder, P. (2023). Deep-learning based detection of vessel occlusions on CT-angiography in patients with suspected acute ischemic stroke. Nature Communications, 14(1).

10. Byrne, D., Walsh, J., Sugrue, G., Nicolaou, S., & Rohr, A. (2020). CT Imaging of Acute Ischemic Stroke [Review of CT Imaging of Acute Ischemic Stroke]. Canadian Association of Radiologists Journal, 71(3), 266. SAGE Publishing.

11. Chandrabhatla, A. S., Kuo, E. A., Sokolowski, J. D., Kellogg, R. T., Park, M. S., & Mastorakos, P. (2023). Artificial Intelligence and Machine Learning in the Diagnosis and Management of Stroke: A Narrative Review of United States Food and Drug Administration-Approved Technologies [Review of Artificial Intelligence and Machine Learning in the Diagnosis and Management of Stroke: A Narrative Review of United States Food and Drug Administration-Approved Technologies]. Journal of Clinical Medicine, 12(11), 3755. Multidisciplinary Digital Publishing Institute.

12. Cortés-Albornoz, M. C., Clifford, B., Lo, W., Yee, S. W., Applewhite, B. P., Tabari, A., White-Dzuro, C., Cauley, S., Schaefer, P. W., Rapalino, O., Lev, M. H., Bilgiç, B., Feiweier, T., Huang, S. Y., Conklin, J., & Lang, M. (2025). A 3-Minute Ultrafast MRI and MRA Protocol for Screening of Acute Is-

chemic Stroke. Journal of the American College of Radiology, 22(3), 366.

13. Gauriau, R., Bizzo, B. C., Comeau, D. S., Hillis, J., Bridge, C. P., Chin, J. K., Pawar, J., Pourvaziri, A., Šešić, I., Sharaf, E., Cao, J., Noro, F. T. C., Wiggins, W. F., Caton, M. T., Kitamura, F., Dreyer, K. J., Kalafut, J. F., Andriole, K. P., Pomerantz, S. R., … Lev, M. H. (2023). Head CT deep learning model is highly accurate for early infarct estimation. Scientific Reports, 13(1).

14. Halil, E. (2023). CT perfusion – an up-to-date element of the contemporary multimodal diagnostic approach to acute ischemic stroke. Folia Medica, 65(4), 531.

15. Inoue, M., & Toyoda, Ḱazunori. (2021). Expanding the therapeutic window in acute ischemic stroke by advanced imaging. Vessel Plus, 2021.

16. Kundeti, S. R., Vaidyanathan, M. K., Shivashankar, B., & Gorthi, S. P. (2021). Systematic review protocol to assess artificial intelligence diagnostic accuracy performance in detecting acute ischaemic stroke and large-vessel occlusions on CT and MR medical imaging. BMJ Open, 11(3).

17. Liu, F., Yao, Y., Zhu, B., Yu, Y., Ren, R., & Hu, Y. (2024). The novel imaging methods in diagnosis and assessment of cerebrovascular diseases: an overview. Frontiers in Medicine, 11.

18. Liu, Y., Wen, Z., Wang, Y., Zhong, Y., Wang, J., Hu, Y., Ping, Z., & Guo, S. (2024). Artificial intelligence in ischemic stroke images: current applications and future directions [Review of Artificial intelligence in ischemic stroke images: current applications and future directions]. Frontiers in Neurology, 15. Frontiers Media.

19. Lotan, E. (2020, December 31). Emerging Artificial Intelligence Imaging Applications for Stroke Interventions. In American Journal of Neuroradiology (Vol. 42, Issue 2, p. 255). American Society of Neuroradiology.

20. Mallula, B. V., Chintala, J. R., Boppanna, S., & Annapurna, S. (2020). Role of Multi Detector Computed Tomography Cervicocerebral Angiography in Evaluation of Patients with Stroke. Asian Journal of Medi-

cal Radiological Research, 8(1), 93. 21. Nael, K., Sakai, Y., Khatri, P., Prestigiacomo, C. J., Puig, J., & Vagal, A. (2019). Imaging-based Selection for Endovascular Treatment in Stroke [Review of Imaging-based Selection for Endovascular Treatment in Stroke]. Radiographics, 39(6), 1696. Radiological Society of North America.

22. Nukovic, J. J., Opančina, V., Ciceri, E., Muto, M., Zdravković, N., Altin, A., Altaysoy, P., Kastelic, R., Mendivil, D. M. V., Nukovic, J. A., Marković, N., Opancina, M., Prodanović, T., Nukovic, M., Kostić, J., & Prodanović, N. (2023). Neuroimaging Modalities Used for Ischemic Stroke Diagnosis and Monitoring [Review of Neuroimaging Modalities Used for Ischemic Stroke Diagnosis and Monitoring]. Medicina, 59(11), 1908. Multidisciplinary Digital Publishing Institute.

23. Patil, S., Rossi, R., Jabrah, D., & Doyle, K. (2022). Detection, Diagnosis and Treatment of Acute Ischemic Stroke: Current and Future Perspectives [Review of Detection, Diagnosis and Treatment of Acute Ischemic Stroke: Current and Future Perspectives]. Frontiers in Medical Technology, 4. Frontiers Media.

24. Radwan, M. E. (2021). Imaging strategy for acute stroke patients, a review of literature [Review of Imaging strategy for acute stroke patients, a review of literature]. Zenodo (CERN European Organization for Nuclear Research). European Organization for Nuclear Research.

25. Rigsbee, C., Vidovich, J., Wang, D. T., & Vagal, A. (2019). Acute Ischemic Stroke: An Imaging Update. Contemporary Diagnostic Radiology, 42(16), 1.

26. Săceleanu, V., Toader, C., Pleș, H., Covache-Busuioc, R.-A., Costin, H. P., Bratu, B.-G., Dumitrascu, D.I., Bordeianu, A., Corlatescu, A. D., & Ciurea, A. V. (2023). Integrative Approaches in Acute Ischemic Stroke: From Symptom Recognition to Future Innovations [Review of Integrative Approaches in Acute Ischemic Stroke: From Symptom Recognition to Future Innovations]. Biomedicines, 11(10), 2617. Multidisciplinary Digital Publishing Institute.

27. Shoghli, A., Chow, D., Kuoy, E., & Yaghmai, V. (2023). Current role of portable MRI in diagnosis of acute neurological conditions [Review of Current role of portable MRI in diagnosis of acute neurological conditions]. Frontiers in Neurology, 14. Frontiers Media.

28. Shukla, R., Kirti, R., Bhushan, D., & Kumar, P. (2022). Clinical utility of MRI in acute stroke beyond reperfusion therapy. Journal of Family Medicine and Primary Care, 11(6), 2933.

29. Soun, J. E., Chow, D., Nagamine, M., Takhtawala, R., Filippi, C. G., Yu, W., & Chang, P. D. (2020). Artificial Intelligence and Acute Stroke Imaging [Review of Artificial Intelligence and Acute Stroke Imaging]. American Journal of Neuroradiology, 42(1), 2. American Society of Neuroradiology.

30. Soun, J. E., Zolyan, A., McLouth, J., Elstrott, S., Nagamine, M., Liang, C., Dehkordi‐Vakil, F., Chu, E., Floriolli, D., Kuoy, E., Joseph, J., Abi‐Jaoudeh, N., Chang, P., Yu, W., & Chow, D. (2023). Impact of an automated large vessel occlusion detection tool on clinical workflow and patient outcomes. Frontiers in Neurology, 14.

31. Tapkan, R. B., Bildik, B., Kalafat, A. F. B., Doğan, S., Kalafat, U. M., Dörter, M., Yazıcı, R., & Cander, B. (2020). Diagnostic Value of Diffusion Magnetic Resonance Imaging in the Emergency Department. İstanbul Kanuni Sultan Süleyman Tıp Dergisi.

32. Verclytte, S., Gnanih, R., Verdun, S., Feiweier, T., Clifford, B., Ambarki, K., Pasquini, M., & Ding, J. (2023). Ultrafast MRI using deep learning echoplanar imaging for a comprehensive assessment of acute ischemic stroke. European Radiology, 33(5), 3715.

33. Wardlaw, J. M., Mair, G., Kummer, R. von, Williams, M. C., Li, W., Storkey, A., Trucco, E., Liebeskind, D. S., Farrall, A., Bath, P. M., & White, P. (2022). Accuracy of Automated Computer-Aided Diagnosis for Stroke Imaging: A Critical Evaluation of Current Evidence [Review of Accuracy of Automated Computer-Aided Diagnosis for Stroke Imaging: A Critical Evaluation of Current Evidence]. Stroke, 53(7), 2393. Lippincott Williams & Wilkins.

Inteligența Artificială în Radiologie:

Revoluția Imagisticii

Medicale

Artificial Intelligence in Radiology: The Revolution of Medical Imaging

Artificial intelligence (AI) is rapidly transforming radiology, moving from experimental research into daily clinical practice. AI algorithms now support tasks such as lesion detection, volumetric analysis, and workflow optimization, enhancing diagnostic accuracy while reducing radiologists’ workload. Rather than replacing radiologists, AI is expected to complement their expertise, allowing them to focus on higher-level clinical judgment and patient care.

ÎUMF

Dr. Mihai

Alexandru Ene

UMF Craiova

n ultimii ani, inteligența artificială (IA) a evoluat dintr-un concept futurist într-o realitate concretă care transformă radiologia. Dezvoltarea rapidă a algoritmilor de învățare automată și deep learning a adus capabilități noi în imagistica medicală, de la interpretarea automată a imaginilor la optimizarea fluxurilor de lucru. Radiologia, specialitate ce stă la baza diagnosticării moderne, se află acum în pragul unei noi revoluții digitale. Numeroase aplicații bazate pe IA sunt deja folosite pentru segmentarea organelor, detectarea leziunilor și

asistarea diagnosticului, promițând îmbunătățirea acurateței și eficienței actului medical [1]

Adopția IA în radiologie a crescut exponențial, mai ales în ultimii 5 ani. În prezent, algoritmii de machine learning pot analiza imagini cu viteză și acuratețe remarcabile [2]. De pildă, modelele de deep learning au atins performanțe comparabile cu ale radiologilor în detectarea nodulilor pulmonari pe CT cu doză redusă [3]. Deja există soluții de diagnostic asistat de computer (CAD) capabile să identifice noduli pulmonari pe radiografii și CT [4], să clasifice leziuni mamare suspecte [5] sau să detecteze semnele de accident vascular cerebral acut pe CT [6] Astfel de sisteme automatizează sarcinile repetitive și prioritizează descoperirile critice, ceea ce ajută la creșterea eficienței și la reducerea oboselii radiologilor în mediile cu volum mare de muncă [1]. Importanța acestor inovații se reflectă și în dezvoltarea comercială: peste 200 de produse software bazate pe IA dedicate radiologiei au obținut deja aprobări de reglementare până la începutul anului 2023 [7] , deși multe necesită în continuare validare clinică riguroasă. Tendința actuală este clară – IA a trecut din stadiul de cercetare în practica clinică, devenind operațională în tot mai multe centre medicale.

În cadrul Centrului de Imagistică al UMF Craiova, folosim deja soluții bazate pe IA în activitatea zilnică, ceea ce demonstrează aplicabilitatea practică a acestor tehnologii. Spre exemplu, în portofoliul experienței noastre se numără programe de IA capabile să analizeze atât achiziții CT, cât și IRM. Astfel, dispunem de un software de IA specializat în

analiza CT-ului toracic, care detectează automat nodulii pulmonari și îi evidențiază vizual direct în cadrul investigației. În plus, algoritmul generează un raport detaliat ce include localizarea exactă a fiecărui nodul, dimensiunile liniare (diametrele), volumul, precum și un scor de suspiciune oncologică. <figura 1> De asemenea, software-ul furnizează recomandări standardizate de follow-up, conform ghidurilor actuale, facilitând astfel o abordare mai rapidă, precisă și uniformă a cazurilor. Prin aceste funcționalități, AI-ul sprijină radiologul în depistarea precoce a leziunilor, reducând riscul de omisiuni și contribuind la o stratificare mai adecvată a riscului pacientului.

Un alt algoritm este dedicat IRMului cerebral, unde realizează volumetria structurilor encefalice și evidențiază leziuni demielinizante, aspecte esențiale pentru diagnosticul și monitorizarea bolilor neurodegenerative, precum scleroza multiplă. <figurile 2, 3, 4, 5> Un avantaj major îl constituie posibilitatea de a efectua comparații longitudinale între examene succesive, facilitând evaluarea dinamică a progresiei bolii sau a răspunsului la tratament, prin cuantificarea modificărilor de volum sau a numărului de leziuni. De asemenea, utilizăm instrumente de IA dedicate angio-IRM, capabile să identifice automat anevrismele cerebrale și să ofere informații privind dimensiunea, localizarea acestora și urmărirea în timp a acestor leziuni vasculare, oferind medicului posibilitatea de a aprecia evoluția și de a decide conduita optimă. <figura 6> În domeniul imagisticii prostatei, un

Prof. Univ. Dr. Ioana Andreea Gheonea
UMF Craiova
Asist. Univ. Dr. Cristina Ciofiac
UMF Craiova
Asist. Univ. Dr. Rossy Vlăduț Teică
Craiova

software IA asistă radiologul în interpretarea IRM de prostată prin realizarea volumetriei prostatice și prin detectarea ariilor suspecte, cuantificarea lor conform scorului PI-RADS, îmbunătățind acuratețea evaluării cancerelor de prostată, precum și cartografierea acestora pentru o mai buna comunicare cu urologii. <figura 7>

Nu în ultimul rând, pentru IRM-ul de genunchi, utilizăm o aplicație bazată pe IA care recunoaște automat leziunile de cartilaj și semnalează zonele de interes, reducând riscul de a trece cu vederea modificări subtile. Algoritmul încadrează aceste leziuni conform scorurilor de gradare a cartilajului. <figura 8>

Odată cu entuziasmul generat de IA au apărut și temeri în rândul profesioniștilor și al viitorilor radiologi. Una dintre îngrijorările majore este teama că radiologul va fi înlocuit de IA [8]. Deși această idee a fost intens mediatizată, specialiștii subliniază că este o viziune simplistă și nerealistă. Radiologia nu se rezumă la recunoașterea tiparelor pe imagini, ci implică judecată clinică, comunicare și integrarea datelor complexe ale pacientului, aspecte pe care o mașină nu le poate substitui pe deplin [1, 9]. Un studiu din 2022 a arătat că jumătate dintre studenții la Medicină care luau în considerare radiologia ca opțiune de specializare se declarau îngrijorați de impactul IA asupra viitorului specialității [10], temându-se că rolul radiologului ar putea deveni automatizat și în cele din urmă depășit [10]

Cu toate acestea, experții și liderii din domeniu contracarează aceste temeri, evidențiind că IA nu va elimina radiologul, ci îi va transforma rolul. „AI cannot replace radiologists” concluzionează un review sistematic recent, subliniind că serviciile de radiologie vor necesita în viitor colaborarea dintre radiologi, sisteme IA și personal tehnic pentru a oferi evaluări imagistice sigure și de calitate [11]. Practic, IA și radiologul sunt complementare, iar sarcinile radiologului se vor reorienta: algoritmii pot prelua activitățile repetitive și de volum mare, în timp ce medicii se vor concentra pe aspectele care necesită gândire critică, context clinic și decizie integrată [1, 11, 12]. Faptul că IA poate interpreta anumite imagini mai rapid și uneori mai eficient decât oamenii [11] trebuie văzut ca un avantaj în contextul deficitului global de radiologi

și al creșterii volumului de investigații imagistice, nu ca o amenințare pentru viitorul specialității [1, 11, 12] .

Pe lângă teama de înlocuire, există și alte provocări și limite ale implementării IA. Un obstacol tehnic important îl reprezintă biasul algoritmic – erorile sau deviațiile introduse de seturile de date neechilibrate folosite la antrenarea rețelelor neuronale [13]. Dacă un model este antrenat pe populații nereprezentative, performanța sa poate scădea atunci când este aplicat în alt context demografic. De asemenea, natura de „cutie neagră” a multor algoritmi de deep learning generează lipsă de transparență în procesul decizional al IA, ceea ce ridică probleme de încredere și de acceptare din partea clinicienilor [14, 15]. Responsabilitatea legală în caz de erori diagnostice comise de un algoritm este o dilemă etică încă nerezolvată [16]. Mai mult, se pune problema supra-încrederii în asistenții AI. Tinerii clinicieni, în special, ar putea ajunge să se bazeze excesiv pe sugestiile automate, riscând să își erodeze abilitățile de gândire critică și de interpretare independentă [17]. Toate aceste provocări subliniază că integrarea IA în radiologie trebuie făcută cu precauție, cu validări clinice solide și cu implicarea activă a radiologilor în dezvoltarea și monitorizarea acestor sisteme.

În pofida provocărilor, perspectivele pe care IA le deschide în radiologie sunt profund pozitive [18]. Mai degrabă decât să diminueze rolul radiologului, IA are potențialul să îmbogățească practica radiologică și să crească impactul acesteia asupra îngrijirii pacienților. Numeroși lideri de opinie susțin că temerile privind „dispariția” radiologilor sunt nefondate [10], ba chiar că datorită IA radiologia va deveni și mai atractivă pentru noile generații de medici [10]. Integrarea algoritmilor inteligenți în fluxul de lucru va elibera radiologii de sarcinile monotone (precum măsurători, conturări manuale, descrierea modificărilor evidente) și le va permite să se concentreze pe activități de nivel înalt: corelarea imaginii cu contextul clinic, interpretarea multiplanară complexă, consultul interdisciplinar și comunicarea rezultatelor către pacienți și colegi clinicieni [18, 19]. Radiologul viitorului, asistat de IA, ar putea deveni mai implicat direct în managementul pacientului, consolidându-și rolul de medic clinic și consultant esențial în echipa medicală, nu doar de interpret al imaginilor [18-20] .

De altfel, s-a sugerat că IA va oferi radiologilor oportunitatea de a fi „mai vizibili” și mai orientați spre pacient, sporind contactul direct cu acesta și participarea la decizii clinice [10, 20]. Algoritmii pot prelua analiza inițială a datelor imagistice și generarea unor rapoarte preliminare, însă validarea finală, integrarea concluziilor și comunicarea lor vor rămâne în sarcina medicului radiolog. Astfel, în loc să fie înlocuit, radiologul va fi potențat de IA (augmented radiologist) [1]. Combinația dintre expertiza umană și puterea IA poate crește acuratețea diagnostică și siguranța pacientului, reducând rata erorilor de interpretare și asigurând o a doua opinie automată la fiecare examen imagistic [1] . Un alt beneficiu strategic al IA este atenuarea impactului crizei de personal în radiologie. Deficitul de radiologi, resimțit în multe țări, alături de creșterea cererii de investigații imagistice, pune presiune pe sistemele medicale. IA poate prelua o parte din volumul de lucru, ceea ce în final se traduce prin rapoarte mai prompt emise și pacienți tratați mai rapid [10]. Studii recente arată că utilizarea IA pentru triajul listei de lucru a radiologilor scurtează semnificativ timpii de interpretare și eliberare a rezultatelor [10, 21, 22]. În ansamblu, perspectiva este că radiologia asistată de IA va fi mai eficientă, mai precisă și mai axată pe pacient. Inteligența artificială în radiologie reprezintă o revoluție în plină desfășurare, ce redefiniește modul în care sunt analizate imaginile medicale și rolul radiologului în echipa clinică [18]. Tendințele actuale indică o adopție tot mai largă a algoritmilor inteligenți, care deja își demonstrează utilitatea în multiple aplicații [7]. Radiologia viitorului se conturează ca un domeniu al colaborării om-mașină, în care judecata și empatia medicului se îmbină cu viteza și precizia algoritmilor. Esențial este ca radiologii să rămână implicați în dezvoltarea și implementarea soluțiilor de IA, asigurând că acestea respectă standardele de siguranță și etică și că completează judecata clinică, fără a o diminua. Viitorul radiologiei nu stă în a rezista tehnologiei, ci în a o modela, astfel încât transformarea digitală să se traducă în beneficii reale pentru pacienți, fără a compromite conexiunea umană care se află în centrul actului medical.

Referințe:

1. Nk, R., A. S, and S. K, Artificial Intelligence in Radiology: Augmentation, Not Replacement. Cureus, 2025. 17: p. e86247.

2. Li, M., et al., Medical image analysis using deep learning algorithms. Frontiers in Public Health, 2023. Volume 11 - 2023.

3. Ardila, D., et al., End-to-end lung cancer screening with three-dimensional deep learning on low-dose chest computed tomography. Nature Medicine, 2019. 25(6): p. 954-961.

4. Quanyang, W., et al., Artificial intelligence in lung cancer screening: Detection, classification, prediction, and prognosis. Cancer Med, 2024. 13(7): p. e7140.

5. Rodriguez-Ruiz, A., et al., Stand-Alone Artificial Intelligence for Breast Cancer Detection in Mammography: Comparison With 101 Radiologists. JNCI: Journal of the National Cancer Institute, 2019. 111(9): p. 916-922.

6. Chilamkurthy, S., et al., Deep learning algorithms for detection of critical findings in head CT scans: a retrospective study. Lancet, 2018. 392(10162): p. 2388-2396.

7. Mello-Thoms, C. and C.A.B. Mello, Clinical applications of artificial intelligence in radiology. Br J Radiol, 2023. 96(1150): p. 20221031.

8. Huisman, M., et al., An international survey on AI in radiology in 1,041 ra-

diologists and radiology residents part 1: fear of replacement, knowledge, and attitude. Eur Radiol, 2021. 31(9): p. 7058-7066.

9. Nakamura, Y., et al., It is Not Time to Kick Out Radiologists. Asian Bioeth Rev, 2025. 17(1): p. 9-15.

10. Liu, D., et al., Changes in radiology due to artificial intelligence that can attract medical students to the specialty (Preprint). JMIR Medical Education, 2022. 9.

11. Achour, N., et al., The role of AI in mitigating the impact of radiologist shortages: a systematised review. Health and Technology, 2025. 15(3): p. 489-501.

12. Jeong, J., et al., Reducing the workload of medical diagnosis through artificial intelligence: A narrative review. Medicine (Baltimore), 2025. 104(6): p. e41470.

13. Vrudhula, A., et al., Machine Learning and Bias in Medical Imaging: Opportunities and Challenges. Circ Cardiovasc Imaging, 2024. 17(2): p. e015495.

14. Nouis, S.C., V. Uren, and S. Jariwala, Evaluating accountability, transparency, and bias in AI-assisted healthcare decision- making: a qualitative study of healthcare professionals’ perspectives in the UK. BMC Med Ethics, 2025. 26(1): p. 89.

15. Muhammad, D. and M. Bendechache,

Unveiling the black box: A systematic review of Explainable Artificial Intelligence in medical image analysis. Comput Struct Biotechnol J, 2024. 24: p. 542-560.

16. Martín-Noguerol, T., P. López-Úbeda, and A. Luna, AI in radiology: Legal responsibilities and the car paradox. Eur J Radiol, 2024. 175: p. 111462.

17. Khan, F.A., AI in clinical diagnostics: Is overreliance eroding clinical expertise? PLOS Digit Health, 2025. 4(8): p. e0000959.

18. Bhandari, A., Revolutionizing Radiology With Artificial Intelligence. Cureus, 2024. 16(10): p. e72646.

19. Nair, A., et al., Enhancing Radiologist Productivity with Artificial Intelligence in Magnetic Resonance Imaging (MRI): A Narrative Review. Diagnostics (Basel), 2025. 15(9).

20. Park, J., et al., Patient-centered radiology reports with generative artificial intelligence: adding value to radiology reporting. Sci Rep, 2024. 14(1): p. 13218.

21. Sim, J.Z.T., et al., Harnessing artificial intelligence in radiology to augment population health. Front Med Technol, 2023. 5: p. 1281500.

22. Martini, K., et al., Impact of Vessel Suppressed-CT on Diagnostic Accuracy in Detection of Pulmonary Metastasis and Reading Time. Academic Radiology, 2021. 28(7): p. 988-994.

Rolul elastografiei ultrasonografice în evaluarea

neinvazivă a hepatopatiilor

difuze

The role of ultrasound elastography in the non-invasive assessment of diffuse chronic liver diseases

Ultrasound-based elastography techniques (VCTE, pSWE and 2D-SWE) are recommended by all current international guidelines as the preferred approach for evaluating diffuse liver diseases in clinical practice. Beyond their well-established role in diagnosing and staging chronic liver disease, they also hold prognostic value, by allowing the prediction of vascular and/or oncological complications. Optimal patient assessment depends on the correct implementation of these methods and on a thorough understanding of the factors that may influence result interpretation.

PProf. Dr. Monica Lupşor-Platon

Dep. Imagistică, Inst. Regional de Gastroenterologie și Hepatologie

„Prof. Dr. Octavian Fodor’’ Cluj-Napoca, UMF „Iuliu Haţieganu’’, Cluj-Napoca

Dr. Andreea Morariu-Barb

Dep. Imagistică, Inst. Regional de Gastroenterologie și Hepatologie

„Prof. Dr. Octavian Fodor’’ Cluj-Napoca, UMF „Iuliu Haţieganu’’, Cluj-Napoca

atologia hepatică, a 11-a cauză principală de mortalitate și respectiv a 15-a cauză principală de morbiditate, reprezintă o problemă importantă de sănătate publică, fiind responsabilă de aproximativ 2 milioane de decese la nivel mondial[1]

Din punct de vedere histologic, afecţiunile hepatice pot fi caracterizate prin cuantificarea activităţii inflamatorii, a gradului de încărcare grasă al hepatocitelor (steatoză) și a stadiului fibrozei hepatice. Deși biopsia hepatică este considerată încă standardul de aur pentru diagnosticul bolilor hepatice, aceasta prezintă o serie de limitări, precum natura invazivă a metodei, posibilele erori de eșantionare, variabilitatea inter-observator și accesul limitat în practica curentă [2] .

Tehnicile secţionale, precum ultrasonografia, computer-tomografia și imagistica prin rezonanţă magnetică au rol predominant în diagnosticul de boală hepatică avansată în stadiu cirotic, prin detectarea semnelor imagistice clasice (de ex. conturul neregulat al ficatului, dismorfismul hepatic), respectiv în detectarea precoce a posibilelor complicaţii vasculare și/

sau oncologice. Aceste metode au, însă, sensibilitate redusă în diagnoza stadiilor precirotice ale bolii. Avansul tehnologic din ultimele decenii a permis dezvoltarea unor tehnici imagistice capabile să cuantifice într-o manieră non-invazivă și cu performanţe foarte bune principalele trăsături ale bolilor hepatice, iar dintre acestea, din punct de vedere clinic, componenta fibrotică are implicaţii prognostice importante, fiind strâns legată de apariţia hipertensiunii portale. Acest eveniment marchează trecerea spre un stadiu al bolii hepatice cu risc mare de apariţie a complicaţiilor cirozei, ce impune implementarea profilaxiei și monitorizarea îndeaproape a acestor pacienţi [3,4]

Dintre tehnicile neinvazive de evaluare a bolilor hepatice, un rol important îl au cele elastografice. Tehnici elastografice utile în evaluarea hepatopatilor difuze

Elastografia este tehnica ce permite evaluarea neinvazivă a proprietăţilor biomecanice ale unui ţesut, definind astfel rezistenţa unui țesut la o forță externă aplicată. La nivel tisular, anumite modificări patologice (de ex. fibroza, inflamaţia) pot induce o creștere a rigidităţii acelui ţesut, aspect ce poate fi detectat și cuantificat prin tehnicile elastografice. Elastografia hepatică se poate împărți în două mari categorii: elastografia ultrasonografică și elastografia pe bază de imagistică prin rezonanţă magnetică (Magnetic resonance elastography, MRE)[5].

Datorită accesibilităţii si costului mai redus, cele mai utilizate în practica clinică curentă sunt tehnicile elastografice ultrasonografice, anume elastografia tranzitorie unidimensională (VCTE, „vibration controlled transient elastography”)

realizată cu echipamentul Fibroscan® (Echosens, Paris), pSWE (point shear-wave elastography) și 2D-SWE (2D shear-wave elastography), ultimele două fiind integrate în echipamentele ecografice moderne. Principalele caracteristici ale tehnicilor elastografice sunt prezente în Tabelul 1. În prezent, tot mai multe echipamente ultrasonografice dispun de softuri de elastografie și nu doar „vârfurile de gamă”, realizând așa numita „ecografie multiparametrică’’. Atfel, prin integrarea unor module specifice, se realizează cu același echipament ecografia în scară gri, ecografia doppler, ecografia cu contrast, precum și evaluarea elastografică a fibrozei, a steatozei si posibil, a inflamației hepatice [8]

Conform ghidurilor în vigoare, orice examinare elastografică hepatică trebuie să se realizeze la minim 4 ore postprandial, respectiv după o perioadă de odihnă de cel puţin 10 minute, întrucât alimentarea recentă sau efortul fizic efectuat înainte de examinare pot duce la falsa creștere a rigidităţii hepatice (RH)[4].

Pe de altă parte, orice tehnică elastografică trebuie interpretată în contexul clinic și biochimic al pacientului, întrucât colestaza, citoliza, congestia, hemodializă sau chiar steatoza severă pot influenţa rigiditatea hepatică, supraestimând stadiul de fibroză [5,6]. Principalele limitări tehnice și avantajeale tehnicilor elastografice sunt prezentate în Tabelul 2.

În prezent, tot mai multe echipamente ultrasonografice dispun de softuri de elastografie și nu doar „vârfurile de gamă”, realizând așa numita „ecografie multiparametrică’’. Atfel, prin integrarea unor module specifice, se realizează cu același echipament ecografia în scară gri, ecografia doppler, ecografia cu contrast, precum

Tabel 1. Principalele caracteristici ale tehnicilor elastografice utilizate în evaluarea hepatopatiilor difuze [5,6,7]

Metoda elastografică

VCTE

pSWE

2D-SWE

Principiu fizic de bază

Determinarea vitezei de propagare a undelor de forfecare induse printr-o vibraţie mecanică generată de o sondă specială

Determinarea vitezei de propagare a undelor de forfecare induse prin impulsuri acustice focalizate generate de transductorul ultrasonografic

Modalitate de achiziție

Perpendicular pe peretele toracic, în porţiunea medie a lobului drept hepatic (în spaţiile intercostale IX sau X)

Fără imagine anatomică a ficatului în timp real

Perpendicular pe peretele

toracic, în porţiunea medie a lobului drept hepatic (în spaţiile intercostale IX sau X)

Regiunea de interes (ROI) selectată de operator în timp real, la >15- 20 mm de capsula hepatică (profunzime maximă de 60-70 mm)

Volum hepatic examinat

Cilindru (~1 × 4 cm) la o adâncime fixă, selectată automat

MRE Cuantificarea propagării undelor de forfecare induse de un generator mecanic extern şi detectate prin secvențe IRM sensibile la mișcare

Software special de elastografie integrat

Măsurători punctuale

Măsurători 2D variabile (ROI de cel puţin 10mm)

Este afişată o hartă codificată color suprapusă peste imaginea ecografică obţinută în timp real

Tipuri de transductore utilizate

Sonde:

M (cea mai utilizată la adulţi)

XL (adulți, dacă distanța tegument–capsulă ≥ 25 mm )

S (frecvent la copii)

Transductorul echipamentului ultrasonografic

Parametru raportat Durata

Rigiditatea hepatică (RH) (kPa) -> estimarea fibrozei

de performanţă

Parametrul de atenuare controlată (CAP) (dB/m) -> estimarea steatozei 5–10 minute 10 măsurători valide IQR/M

Rigiditatea hepatică (kPa sau m/s) -> estimarea fibrozei

Coeficient de atenuare (dB/m sau dB/cm/MHz) sau

Coeficient ,,Backscatter’’ (dB/cm-sr) sau

Viteza sunetului (m/s) -> estimarea steatozei

Vâscozitatea (Pa·s) -> Estiomarea activitatii necroinflamatorii (în cercetare)

5–15 minute

5-10

măsurători valide IQR/M <30% pentru kPa IQR/M ≤15% pentru m/s

3-5 măsurători valide

IQR/M <30% pentru kPa şi ≤15% pentru m/s

Coeficient de variație < 0,25 pentru RH 8,8-11,9 kPa și < 0,10 pentru ≥ 12,0 kPa

Harta color trebuie să fie omogenă

Măsurători 3D sau 2D de segmente mari/volum hepatic total Există o hartă codificată color, suprapusă peste imaginile IRM

Rigiditatea hepatică (kPa) -> estimarea fibrozei 15–30 minute

ROI selectate în zone cu amplitudine adecvată a undei; sistemele noi pot face măsurarea automat

VCTE, vibration controlled transient elastography; pSWE, point shear-wave elastography); 2D-SWE (2D shear-wave elastography); MRE, Magnetic resonance elastography; RH, rigiditate hepatică, ROI, regiune de interes; IQR, interquartile range; kPa, kilopascali; 2D, bidimensionale; 3D, tridimensionale

Tabel 2. Principalele limitări tehnice și avantaje ale tehnicilor elastografice utilizate în hepatopatiile difuze

Limitări tehnice

VCTE Nu oferă imagine ecografică în timp real,

Factori de esec: spaţii intercostale înguste, ascita masivă

pSWE şi

2D-SWE

Obezitate severă şi ascită (mai puţin limitative pentru SWE faţă de VCTE)

Mobilitate tisulară excesivă (mişcări respiratorii, cardiace)

Valori prag diferite, dependente de producător

Operator-dependentă

2D SWE: Harta color heterogenă

MRE Necesită infrastructură IRM dedicată

Contraindicaţiile generale IRM, de exemplu implanturi metalice necompa-tibile sau claustrofobia

Avantaje

Uşor de utilizat, rapidă, nu este influenţată de mişcă-rile cardiace sau respiratorii, operator independentă; cea mai validată metodă cu valori prag relativ uni-forme între centre

Rapidă, imagine ecografică în timp real, posibilitatea de evitare a vaselor mari sau a leziunilor, mai puțin afectată de ascită sau obezitate

Analiza întregului organul; reproductibilitatea cea mai mare; performanţă superioară în stadializarea fibrozei în anumite etiologii hepatice

VCTE, vibration controlled transient elastography; pSWE, point shear-wave elastography); 2D-SWE (2D shear-wave elastography); MRE, Magnetic resonance elastography; IRM, imagistică prin rezonanţă magnetică; ROI, regiune de interes

Tabel 3. ,,Regula lui 5’’ în evaluarea neinvazivă a fibrozei hepatice utilizând VCTE

RH (kPa) Interpretare

≤ 5 kPa În limite normale

< 10 kPa

Exclude boala hepatică cronică avansată compensată (cACLD)

≥10 to <15 kPa cACLD posibilă

≥15 to <20 kPa Confirmă cACLD

≥20 to <25 kPa cACLD posibil asociată cu CSPH

≥25 kPa cACLD asociată cu CSPH

și evaluarea elastografică a fibrozei, a steatozei si posibil, a inflamației hepatice [8] Rolul elastografiei ultrasonografice în evaluarea hepatopatiilor difuze. Interpretarea valorii rigidității hepatice

Etiologia afecţiunilor hepatice este diversă, cea mai ridicată prevalenţă având boala hepatică steatotică asociată disfuncţiilor metabolice - MASLD, „Metabolic Dysfunction-associated Steatotic Liver Disease”, hepatitele virale și boala hepatică asociată consumului de alcool (ALD, ,,Alcohol-Associated Liver Disease’’) [9] .

Utilizarea testelor hepatice neinvazive imagistice este ferm recomandată în cazul hepatitelor virale și a MASLD. Cercetările privind utilizarea acestora în ALD, respectiv în boala hepatică colestatică nu sunt la fel de exhaustive, prin urmare interpretarea rezultatelor la acești pacienţi trebuie realizată cu precauţie, ţinându-se cont mereu de posibilul efect al episoadelor de acutizare și/sau al prezenţei obstrucţiei biliare asupra rigiditatii hepatice [5]

Cel mai important factor prognostic la pacienţii cu hepatopatii cronice este stadiul fibrozei hepatice. Din punct de vedere histologic, există scoruri de stadializare pentru fiecare etiologie în parte. Din punct de vedere clinic însă, pentru standardizarea și implementare mai facilă în practică, sunt importante 3 momente:

stadiul de fibroză semnificativă (≥F2), de fibroză avansată (≥F3), respectiv stadiul de ciroză (F4).

Studiile privind stadializarea fibrozei hepatice cu ajutorul elastografiei au evidențiat valori cutoff diferite în funcție de etiologie și chiar și în funcție de tipul de aparat. Ca urmare, consensul Baveno VI, ulterior extins în Baveno VII, a propus utilizarea unor valori prag unice în cazul măsurătorilor VCTE la pacienţii cu hepatopatii virale, ALD și MASLD nonobezi, cunoscute sub numele de ,,regula lui 5’’(Tabel 3) [4,10] .

Aceste valori au, de asemenea, un rol prognostic prin predicţia riscului de hipertensiune portală clinic semnificativă (CSPH) (gradient de presiune venoasă hepatică HVPG >10mmHg) la pacienţii cu boală hepatică cronică avansată compensată (cACLD). În plus, modelul ANTICIPATE, bazat pe RH și numărul de trombocite, stratifică ulterior acest risc, astfel: RH între 20 și 25 kPa asociată cu numărul de trombocite <150 × 10⁹/L sau RH între 15 și 20 kPa asociată cu numărul de trombocite <110 × 10⁹/L indică un risc de cel puțin 60% de a avea CSPH [11]. Pentru boala hepatică cronică avansată compensată de etiologie MASLD, există un model de predicţie a riscului CSPH similar, modelul ANTICIPATE-NASH, ce include pe lângă RH și numărul de trombocite și indicele

Tabel 4. ,,Regula lui 4’’ în evaluarea non-invazivă a fibrozei hepatice utilizând tehnicile pSWE şi 2D-SWE

RH (kPa / m/s) Interpretare

≤ 5 kPa (1,3 m/s) În limite normale

< 9 kPa (1,7 m/s) Exclude cACLD, în absenţa altor semne clinice

9–13 kPa (1,7–2,1 m/s) cACLD posibilă, dar necesită confirmare prin alte teste

> 13 kPa (2,1 m/s) Confirmă cACLD

> 17 kPa (2,4 m/s) Sugerează prezenţa CSPH

> 21 kPa (2,6 m/s) Probabilitate mare de CSPH

cACLD, boală hepatică cronică avansată compensată; CSPH, hipertensiune portală clinic semnificativă

de masă corporal (IMC) [12] .

În plus, ghidul Baveno VII, precizează faptul că, la pacienţii cu hepatopatii virale, ALD și MASLD non-obezi, dacă la VCTE rigiditatea hepatică este sub 20 kPa și trombocitele sunt normale (≥150 × 10⁹/L), respectiv rigiditatea splenică este sub 40 kPa, acel pacient are un risc foarte scăzut de varice cu risc crescut, iar endoscopia digestivă superioară poate fi evitată [3]

Un studiu multicentric realizat ulterior pe o cohortă mare de pacienţi a evidenţiat faptul că pentru etiologiile MASLD și ALD, valorile prag de 8 kPa și 12 kPa sunt mai potrivite decât cele de 10 kPa, respectiv 15 kPa din ,,regula lui 5’’ ca praguri ce exclud sau confirmă prezenţa unei boli hepatice cronice avansate compensate [13]

În ceea ce privește utilizarea tehnicilor p-SWE și 2D-SWE, studiile au arătat că diferenţele dintre sistemele ecografice și valorile prag ale diferiţilor producători sunt neglijabile și s-a propus utilizarea în practica curentă a următoarelor valori prag, cunoscute sub numele de ,,regula lui 4’’, aplicabile indiferent de etiologia afecţiunii hepatice (Tabel 4) [14] .

Trebuie subliniat însă că tehnicile elastografice ultrasonografice nu se recomandă pentru evaluarea regresiei fibrozei hepatice după tratament. Având în vedere că RH poate fi influenţată și de inflamaţia hepatică pe lângă fibroză, nu există suficiente dovezi că evoluţia RH după iniţierea tratamentului se corelează cu acuratețe doar cu modificările histologice fibrotice. Particularităţi ale utilizării elastografiei ultrasonografice în cele mai frecvente hepatopatii difuze

I. Boala hepatică steatotică asociată disfuncţiilor metabolice (MASLD, Metabolic dysfunction-associated steatotic liver disease)

În MASLD testele neinvazive au rol în diagnosticul bolii, în evaluarea severităţii afectării hepatice, precum și în stratificarea riscului de evenimente hepatice și de mortalitate al acestor pacienţi. Detectarea fibrozei avansate este extrem de importantă, fiind principalul factor ce predispune la apariţia complicaţiilor [15]

Diagnosticul de MASLD ar trebui suspectat și evaluat în cazul pacienţilor cu diabet zaharat de tip 2, obezitate abdominală asociată cu cel puţin un factor de

risc cardiometabolic adiţional (de ex. dislipidemie) sau cu probe hepatice alterate, la care se exclude consumul de alcool [16] .

Primul pas în demersul diagnostic al MASLD este reprezentat de confirmarea și cuantificarea gradului de steatoză hepatică. Ecografia în scară de gri poate fi utilizată pentru screeningul steatozei, dar are sensibilitate și specificitate redusă. Parametrul de atenuare controlată (CAP) măsurat cu VCTE poate fi folosit ca test de primă intenţie, cu menţiunea că poate există o suprapunere a valorilor CAP între gradele adiacente de steatoză și pe de altă parte, sensibilitatea nu este suficient de mare pentru evaluarea modificărilor de la nivel hepatic postintervenţii terapeutice. Ghidul american recomandă o valoare prag a CAP ≥275 dB/m pentru detectarea steatozei în MASLD (>5% încărcare grasă hepatocitară) [5]. În continuă cercetare și validare sunt și markerii ultrasonografici elastografici (coeficientul de atenuare, backscatter și viteza sunetului) integraţi în echipamentele ecografice moderne [6] Tehnicile IRM (MRI-PDFF, Magnetic Resonance Imaging Proton Density Fat Fraction și MRS, magnetic resonance spectroscopy) sunt actualmente considerate cele mai precise metode pentru cuantificarea și evaluarea răspunsului la tratamentul steatozei hepatice, fiind superioare tehnicilor ultrasonografice[7]

Cu toate acestea, o meta-analiză recentă a arătat ca valorile MRI-PDFF nu se corelează liniar cu procentul histologic de conţinut lipidic hepatocitar pe întregul spectru al gradelor de steatoză hepatică [17]. În plus, aceste metode sunt limitate de accesibilitatea redusă și costul înalt. Un alt aspect important de menţionat este faptul că lipsa steatozei la un pacient cu fibroză avansată sau ciroză nu exclude MASLD ca si cauza a hepatopatiei. Evaluarea severităţii afectării hepatice în MASLD 1. Detectarea steatohepatitei non-alcoolice la risc (at risk MASH)

Scorul FAST se bazează pe valoarea CAP și a aspartat aminotransferazei (AST) și detecteză cu acurateţe de peste 80% subpopulaţia de pacienţi cu steatohepatită la risc (caracterizată din punct de vedere histologic printr-un scor de acitivitate ≥ 4 puncte și cel puţin stadiul de fibroză semnificativă ≥F2 ). Acest aspect este foarte important, întrucât acești pacienţi ar putea beneficia de terapie farmacologică

(Resmeriton, medicament aprobat recent de FDA), adiţional măsurilor de schimbare a stilului de viaţă. Scoruri similare există și pentru metoda IRM, de exemplu scorul MAST (MRE + MRI-PDFF + AST) sau MEFIB (MRE + FIB-4)[16].

2.Evaluarea fibrozei

hepatice în MASLD

Pentru evaluarea stadiului de fibroză hepatică la pacienţii cu MASLD se recomandă o abordare multistadială. Primul pas constă în utilizarea unor teste serologice simple, cu cost redus, ce ar putea fi implementate în cabinetul medicului de familie (de ex. scorul FIB-4) . Rolul principal este de a exclude prezenţa unei fibroze avansate. În cazul în care suspiciunea diagnostică persistă (de ex. FIB4>1.3), se impune completarea cu un al doilea test, într-un centru specializat, cu scop de confirmare a prezenţei fibrozei avansate. Cele mai frecvent utilizate teste în acest sens sunt testele elastografice ultrasonografice.

Meta-analize recente au evidenţiat faptul că toate tehnicile elastografice ultrasonografice (p-SWE, 2D-SWE, VCTE) au performanţe comparabile, acceptabile spre foarte bune, în stadializarea fibrozei hepatice din MASLD, cu AUROC de 0.75-0.86 pentru fibroza semnificativă, respectiv 0.8-1.0 pentru fibroza avansată și ciroză. MRE are performanţă comparabilă sau superioară faţă de tehnicile elastografice ultrasonografice în stadializarea fibrozei hepatice, iar dacă este disponibilă, se recomandă a fi utilizată în cazurile în care pacienţii necesită tehnici de imagistică secţională sau dacă celelalte tehnici nu pot fi efectuate[5]

La pacienţii cu MASLD o valoare a rigidităţii hepatice la VCTE < 8 kPa exclude fibroza avansată, iar o valoare >12 kPa confirmă prezenţa acesteia.

Metodele elastografice au valoare prognostică, putând prezice riscul de apariţie al evenimentelor hepatice, precum și riscul de mortalitate. Astfel, la pacientii cu MASLD avansată în stadiu compensat, rigiditatea hepatică iniţială s-a dovedit a fi factor de risc independent pentru dezvoltarea hepatocarcinomului și pentru decompensarea hepatică (,,regula lui 5’’ și modelul ANTICIPATE-NASH dacă se utilizează VCTE, respectiv ,,regula lui 4’’ dacă se utilizează p-SWE sau 2D-SWE) [4]

La pacienţii cu fibroză avansată sau ciroză MASLD, regresia fibrozei se asoci-

ază cu reducerea riscului de evenimente hepatice, însă nu s-a demonstrat o reducere a mortalităţii. În funcţie de riscul individual, ghidul european recomandă reevaluarea pacienţilor la 1-3 ani, evaluarea anuală fiind sugerată pacienţiilor cu ACLD [16]

Limitări specifice ale tehnicilor elastografice în MASLD În cazul MASLD, limitările specifice ale tehnicilor elastografice sunt reprezentate în principal de obezitatea abdominală, distanţa tegument-capsulă hepatică și prezenţa steatozei severe. În majoritatea cazurilor cu distanţă tegument-capsulă hepatică ≥25 mm, evaluarea VCTE cu o sondă XL poate remedia eșecul măsurării RH, însă nu și în cazul obezităţii morbide (IMC ≥40 kg/m²). Obezitatea poate afecta, într-o măsură mai redusă, și măsurătorile efectuate cu tehnicile SWE sau MRE.

Deși impactul clinic nu este clar încă, steatoza severă pare să ducă la cresterea valorii rigiditatii hepatice cu supraestimarea conscutiva a stadiului de fibroză hepatică, dar studiile sunt inca destul de contradictorii [6,7]

II. Hepatite virale B şi C

Diagnosticul hepatitelor virale B și C se realizează serologic prin evidenţierea markerilor specifici, iar testele hepatice imagistice neinvazive au rolul de a evalua severitatea afectării hepatice, de a evalua oportunitatea de iniţiere a tratamentului (în infecţia cu virus B), precum și în stratificarea riscului de apariție a unor evenimente hepatice și de mortalitate.

Toate tehnicile elastografice ultrasonografice (p-SWE, 2D-SWE, VCTE) au performanţe comparabile, foarte bune spre excelente, în stadializarea fibrozei hepatice din hepatopatiile virale, în special în detectarea stadiului de ciroză hepatică. Tehnicile elastografice au performananţe similare cu scorurile serologice (de ex. APRI) în detectarea fibrozei semnificative, dar sunt superioare acestora în stadiile avansate[18].

Asadar, evaluarea iniţială a stadiului fibrozei hepatice poate fi efectuată prin teste serologice (APRI sau FIB4) sau elastografice, iar la pacienţii cu ciroză anterior de tratament, se recomandă supraveghere pe termen lung pentru depistarea hepatocarcinomului (HCC).

Iniţierea tratamentului antiviral Recomandările OMS actualizate în

anul 2024 privind tratamentul hepatitei cronice virale B au presupus extinderea criteriilor de eligibilitate la tratament. Astfel, în prezent, pentru toți adulții și adolescenții ≥12 ani, inclusiv femei însărcinate și fete la vârstă reproductivă, există patru criterii principale, dintre care doar unul necesită testarea viremiei B (ADN-VHB). Testele neinvazive imagistice hepatice au rol în cadrul unuia dintre criterii: detectarea unui stadiu cel puţin de fibroză semnificativă ≥ F2 (prin scor APRI >0,5 sau prin RH măsurată cu ajutorul VCTE >7 kPa) sau de ciroză (pe baza criteriilor clinice, a unui scor APRI >1,0 sau a unei valori a RH măsurată cu ajutorul VCTE >12,5 kPa), indiferent de ADN-VHB sau valoarea alanin-aminotransferazei (ALT) impune iniţierea tratamentului antiviral [19]

Menţionăm faptul că aceste teste nu au fost validate pentru copii, iar valorile rigidităţii hepatice amintite anterior sunt valori medii ale intervalelor 6-8 kPa și 1114 kPa, pentru diagnosticul fibrozei semnificative, respectiv al cirozei. Un alt aspect important este faptul că VCTE poate fi utilizată în sarcină (aprobată de FDA în anul 2023)[19].

Spre deosebire de hepatita cronică virală B, tratamentul în hepatita virală C se administrează pe durată limitată și are eficienţă crescută, determinând o rată de răspuns de peste 95%. Prin urmare, se recomandă iniţierea tratamentului cu medicaţie antivirală la toţi pacienţii cu infecţie dobândită recent sau cronică, indiferent de stadiul fibrozei. Cu toate acestea, se recomandă o evaluare iniţială a severităţii afectării hepatice și tratamentul urgent trebuie luat în considerare la pacienţii cu fibroză cel puţin semnificativă, inclusiv la cei cu ciroză, indiferent de statusul compensat/decompensat [20]

Regresia cirozei este bine recunoscută la majoritatea pacienților cu hepatită cronică virală B cu supresie virală completă și la pacienții cu hepatită cronică virală C care au obținut răspuns virologic susținut (RVS). Cu toate acestea, ghidul european recomandă continuarea supravegherii acestor pacienţi, chiar dacă se constată scăderea rigidităţii hepatice la evaluări seriate posttratament, riscul lor de dezvoltare al HCC rămânând crescut [20] .

În ceea ce privește pacienţii cu infecţii cronice virale B sau C și stadiu avansat de fibroză hepatică (F3), noul ghid european

de management al HCC nu recomandă efectuarea de rutină a supravegherii dezvoltării HCC, din cauza dovezilor insuficiente ca raport cost-beneficiu [21]

Utilizarea valorii rigidităţii hepatice ca marker al răspunsului la tratament la acești pacienţi este controversată. În hepatita virală cronică, aceasta este influențată nu doar de fibroză, ci și de inflamația de la nivel hepatic. Din acest motiv, scăderea rigidităţii hepatice în timpul și după terapia antivirală, în special în fazele timpurii, reflectă mai degrabă reducerea inflamației hepatice decât o regresie reală a fibrozei [5,6] .

Ghidul european nu recomandă utilizarea testelor noninvazive pentru detectarea regresiei fibrozei după RVS la pacienții cu virus C, care au fost diagnosticați cu cACLD înainte de terapia antivirală. Cu toate acestea, până la noi cercetări în această direcţie și având în vedere specificitatea ridicată a metodelor, se poate considera că pacienţii cu o valoare a rigidităţii hepatice >12 kPa după RVS au o probabilitate mare de a avea cACLD persistentă [7] .

Criteriile Baveno VII menţionate anterior au fost validate recent și pentru pacienții cu ciroză virală B sub terapie antivirală. În plus, la ciroza de cauză virală C, atingerea unui rigidităţi hepatice <12 kPa și a unui număr normal de trombocite după RVS exclude hipertensiunea portală clinic semnificativă (CSPH) [4,5]

Limitări specifice ale tehnicilor elastografice în hepatitele virale

Limitările specifice în cazul evaluării elastografice la pacienţii cu hepatite virale se referă la interpretarea rezultatelor la persoanele cu puseuri acute de hepatită, care vor avea valori fals crescute ale rigidității hepatice [5]

III. Boala hepatică asociată consumului de alcool

În cadrul unei boli hepatice steatotice, în lipsa asocierii unor factori cardiometabolici, documentarea unui consum moderat de alcool de >20 g/zi la femei și >30 g/zi la bărbați ridică suspiciunea unei boli hepatice asociate consumului de alcool (ALD). În prezenţa factorilor cardiometabolici, un consum moderat de alcool determină o entitate diagnostică mixtă, anume MASLD asociată cu un consum moderat de alcool (MetALD, ,,Metabolic and Alcohol-related Liver Disease’’), iar un consum excesiv de alcool (>50 g/zi la

femei și >60 g/zi la bărbați) stabilește diagnosticul de ALD [16]

Ghidurile sugerează utilizarea cu precauţie a testelor neinvazive hepatice imagistice pentru stadializarea fibrozei hepatice la pacienţii cu ALD. Conform unei meta-analize recente, valorile crescute ale aspartat-aminotransferazei (AST) și ale bilirubinei sunt direct asociate cu valorile rigidităţii hepatice în ALD. Astfel, la pacienții cu consum neîntrerupt de alcool, măsurarea rigidităţii hepatice trebuie repetată după cel puțin 1 săptămână (conform ultimului ghid european) sau 4 săptămâni (conform ultimului ghid WFUMB) de abstinență, dacă există semne concomitente de activitate inflamatorie (sindrom de hepatocitoliză AST >70 U/L și/sau bilirubină crescută) [5, 22].

Cercetările sunt mai limitate în etiologia ALD, dar au arătat performanţe foarte bune spre excelente pentru toate tehnicile elastografice ultrasonografice, cu sensibilitate crescută în special în diagnosticul stadiilor mai avansate de fibroză [23]

Dacă se utilizează VCTE, valorile rigidităţii hepatice <8 kPa exclud fibroza hepatică avansată, iar valorile >12 kPa confirmă fibroza avansată. pSWE și 2D-SWE pot fi utilizate în scop diagnostic la pacienții cu ALD, deoarece acuratețea lor este comparabilă cu cea a VCTE. În absența unui consens asupra valorilor prag în ceea ce priveste tehnicile pSWE si 2D-SWE, poate fi avută în vedere „regula de 4” pentru stadializarea fibrozei [14]

Rigiditatea hepatică măsurată prin VCTE poate fi utilizată și pentru a prezice evenimentele hepatice la pacienții cu ALD și boală compensată (,,regula lui 5’’și modelul ANTICIPATE). O valoarea iniţială mai mare de 15 kPa la pacienţii cu boală compensată se corelează cu un risc mai mare de complicaţii și de deces [4]

Având în vedere coexistenţa frecventă a steatozei hepatice la pacienţii cu etiologie etanolică, se recomanda utilizarea CAP sau a tehnicilor elastografice implementate pe echipamente ultrasonografice pentru cuantificarea gradului de steatoză hepatică la acești pacienţi. La fel ca și în cazul MASLD, ghidul american recomandă o valoare prag a CAP ≥275 dB/m pentru detectarea steatozei (>5% încărcare grasă hepatocitară) [6] .

Concluzie

Elastografia ultrasonografică cu toa-

te tehnicile disponibile (VCTE, pSWE și 2D-SWE) este, în prezent, o metodă indispensabilă în evaluarea neinvazivă a hepatopatiilor difuze, cu utilitate demonstrată în diagnosticul și stadializarea fibrozei, în stratificarea riscului prognostic, dar și în estimarea steatozei și, posibil, a inflamaţiei.

Elastografia a devenit parte integrantă din protocolul de examinare ecografică, iar pentru o evaluare optimă este important ca tehnica să se realizeze corect, iar interpretarea rezultatelor să se facă de un medic cu experienţă, intotdeauna în context clinic, luând în considerare atât parametrii demografici, cât și analizele de laborator.

Bibliografie

1. Devarbhavi H, Asrani SK, Arab JP, Nartey YA, Pose E, Kamath PS. Global burden of liver disease: 2023 update. J Hepatol. 2023 Aug;79(2):516537. doi: 10.1016/j.jhep.2023.03.017.

2. Chowdhury AB, Mehta KJ. Liver biopsy for assessment of chronic liver diseases: a synopsis. Clin Exp Med. 2023 Jun;23(2):273-285. doi: 10.1007/ s10238-022-00799-z. Epub 2022 Feb 22.

3. Angulo P, Kleiner DE, Dam-Larsen S, et al. . Liver Fibrosis, but No Other Histologic Features, Is Associated With Long-term Outcomes of Patients With Nonalcoholic Fatty Liver Disease. Gastroenterology. 2015 ;149(2):389-97.e10. doi: 10.1053/j. gastro.2015.04.043.

4. de Franchis R, Bosch J, Garcia-Tsao G, Reiberger T, Ripoll C; Baveno VII Faculty. Baveno VII - Renewing consensus in portal hypertension. J Hepatol. 2022;76(4):959-974. doi: 10.1016/j.jhep.2021.12.022.

5. Ferraioli G, Barr RG, Berzigotti A, et al.. WFUMB Guideline/Guidance on Liver Multiparametric Ultrasound: Part 1. Update to 2018 Guidelines on Liver Ultrasound Elastography. Ultrasound Med Biol. 2024;50(8):10711087. doi: 10.1016/j.ultrasmedbio.2024.03.013.

6. Sterling RK, Duarte-Rojo A, Patel K, et al. . AASLD Practice Guideline on imaging-based noninvasive liver disease assessment of hepatic fibrosis and steatosis. Hepatology. 2025;81(2):672-724. doi: 10.1097/ HEP.0000000000000843.

7. European Association for the Study of the Liver. EASL Clinical Practice Guidelines on non-invasive tests for evaluation of liver disease severity and prognosis - 2021 update. J Hepatol. 2021;75(3):659-689. doi: 10.1016/j. jhep.2021.05.025.

8. Ferraioli G, Barr RG, Berzigotti A, et al. . WFUMB Guidelines/Guidance on Liver Multiparametric Ultrasound. Part 2: Guidance on Liver Fat Quantification. Ultrasound Med Biol. 2024;50(8):1088-1098. doi: 10.1016/j. ultrasmedbio.2024.03.014.

9. Rinella ME, Lazarus JV, Ratziu V, et al.; NAFLD Nomenclature consensus group. A multisociety Delphi consensus statement on new fatty liver disease nomenclature. Hepatology. 2023;78(6):1966-1986. doi: 10.1097/ HEP.0000000000000520.

10. de Franchis R; Baveno VI Faculty. Expanding consensus in portal hypertension: Report of the Baveno VI Consensus Workshop: Stratifying risk and individualizing care for portal hypertension. J Hepatol. 2015;63(3):743-52. doi: 10.1016/j.jhep.2015.05.022.

11. https://www.bcn-liverhuvh.com/resources

12. Pons M, Augustin S, Scheiner B, et al. . Noninvasive Diagnosis of Portal Hypertension in Patients With Compensated Advanced Chronic Liver Disease. Am J Gastroenterol. 2021;116(4):723-732. doi: 10.14309/ ajg.0000000000000994.

13. Papatheodoridi M, Hiriart JB, Lupsor-Platon M, et al. Refining the Baveno VI elastography criteria for the definition of compensated advanced chronic liver disease. J Hepatol. 2021;74(5):1109-1116. doi: 10.1016/j. jhep.2020.11.050.

14. Barr RG, Wilson SR, Rubens D, Garcia-Tsao G, Ferraioli G. Update to the Society of Radiologists in Ultrasound Liver Elastography Consensus Statement. Radiology. 2020;296(2):263274. doi: 10.1148/radiol.2020192437.

15. Anstee QM, Lawitz EJ, Alkhouri N, et al. Noninvasive Tests Accurately Identify Advanced Fibrosis due to NASH: Baseline Data From the STELLAR Trials. Hepatology. 2019;70(5):15211530. doi: 10.1002/hep.30842.

16. European Association for the Study of the Liver (EASL); European Associa-

tion for the Study of Diabetes (EASD); European Association for the Study of Obesity (EASO). EASL-EASD-EASO Clinical Practice Guidelines on the management of metabolic dysfunction-associated steatotic liver disease (MASLD). J Hepatol. 2024;81(3):492542. doi: 10.1016/j.jhep.2024.04.031.

17. Qadri S, Vartiainen E, Lahelma M, et al. . Marked difference in liver fat measured by histology vs. magnetic resonance-proton density fat fraction: A meta-analysis. JHEP Rep. 2023;6(1):100928. doi: 10.1016/j.jhepr.2023.100928.

18. European Association for the Study of the Liver. EASL 2017 Clinical Practice Guidelines on the management of hepatitis B virus infection. J Hepatol. 2017;67(2):370-398. doi: 10.1016/j. jhep.2017.03.021.

19. World Health Organization. Guidelines for the Prevention, Diagnosis, Care and Treatment for People with Chronic Hepatitis B Infection (Text Extract): Executive Summary. Infect Dis Immun. 2024;4(3):103-105. doi: 10.1097/ID9.0000000000000128.

20. European Association for the Study of the Liver. Electronic address: easloffice@easloffice.eu; Clinical Practice Guidelines Panel: Chair:; EASL Governing Board representative:; Panel members:. EASL recommendations on treatment of hepatitis C: Final update of the series . J Hepatol. 2020;73(5):1170-1218. doi: 10.1016/j. jhep.2020.08.018.

21. European Association for the Study of the Liver. EASL Clinical Practice Guidelines on the management of hepatocellular carcinoma. J Hepatol. 2025;82(2):315-374. doi: 10.1016/j. jhep.2024.08.028

22. European Association for the Study of the Liver. EASL Clinical Practice Guidelines: Management of alcohol-related liver disease. J Hepatol. 2018;69(1):154-181. doi: 10.1016/j. jhep.2018.03.018.

23. Crabb DW, Im GY, Szabo G, Mellinger JL, Lucey MR. Diagnosis and Treatment of Alcohol-Associated Liver Diseases: 2019 Practice Guidance From the American Association for the Study of Liver Diseases. Hepatology. 2020;71(1):306-333. doi: 10.1002/ hep.30866.

A opera sau a nu opera? Raspunsul ecografistului

To operate or not to operate? The sonographer’s answer

În evaluarea unui pacient care se prezintă la un serviciu de Imagistică Medicală, medicul imagist își pune problema dacă afecțiunea acestuia, pe care încearcă să o diagnosticheze, are un caracter acut, subacut, recurent sau cronic.

Coordonator Departament de Medicină Nucleară și Ecografie, Institutul Clinic Fundeni

Desigur, în urma colaborării cu medicul clinician, se poate face o clasificare după durata simptomelor la pacientul respectiv:

• Acut - simptomele durează sub 4 săptămâni, cu rezoluția completă a acestora

• Subacut - simptomele persistă mai mult de 4 săptămâni (fără a depăși 12 saptamani) cu rezoluția completă a simptomelor

• Acut recurrent - 4 sau mai multe episoade acute/an cu rezoluția simptomelor între episoade

• CRONIC - simptomele persistă mai mult de 12 săptămâni

Se impune, de asemenea, o clasificare în funcție de severitatea afecțiunii, pe care medicul imagist trebuie să o aibă în vedere:

• A – urgențe medico-chirurgicale care amenință direct și imediat viața pacientului

• B - afecțiuni care pun în pericol viața pacientului pe termen scurt și mediu (afecțiuni neoplazice, colecții suprainfectate, insuficiență de organ, etc)

• C - situații care pot degenera pe termen mediu-lung în amenințări la viața pacientului și care pot fi temporizate

• D - situații care nu amenință direct viața în prezentul sau viitorul pacientului: tumori evident benigne, calculi necomplicați, afecțiuni inflamatorii (orhite, epididimite, nefrite, tiroidite, hepatite,etc), afecțiuni degenerative (ateroscleroză), etc

Întrucât în articolul de față ne-am propus să analizăm situații în care răs-

punsul medicului imagist se reduce doar la recomandarea pentru chirurg (a opera sau a nu opera), vom prezenta în continuare câteva astfel de situații.

Acumulări de fluide în organism care pot degenera pe termen lung în amenințări la viața pacientului și care pot fi temporizate: hematoame, biloame, urinoame, limfocel, pseudochist de pancreas, ascita cloazonată, pseudo-tumora inflamatorie În continuare este indicată definirea terminologiei folosite, pentru o mai bună înțelegere și pentru a utiliza un limbaj comun cu medicii clinicieni.

• Hematom - acumulare de sânge și cheaguri în țesuturi, organe, sau oricare alt spațiu din corp, ca rezultat al unei soluții de continuitate la nivel vascular

• Bilom – acumulare anormală de bilă, bine circumscrisă, în afara căilor biliare

• Urinom - acumulare de urină în afara rinichilor și căilor urinare, cu localizare retro sau intraperitoneală

• Serom - acumulare de fluid clar (fără elemente celulare) în interiorul corpului

• Ascită - acumulare de fluid între organe și peretele abdominal, cu varianta cloazonată (fixată într-o zonă topografică în cavitatea periponeală)

• Pseudotumoră inflamatorie - compusă dintr-o varietate de celule inflamatorii și compoziția țesuturilor mezenchimale, inclusiv plasmocite, limfocite, etc

Foto 1. Hematom dupa splenectomie

În funcție de aspectul lor ecografic, hematoamelor li se poate stabili cu aproximație vechimea până la cca. 3 luni de la apariție, interval după care pot apărea calcificări și se pot relichefia (transformare chistică). Biloamele survin mai ales după intervenții chirurgicale pe colecist și căile biliare, ori după traumatisme penetrante (agresiuni cu arme albe, manevre medicale minim invazive, etc) sau nepenetrante (accidente auto, casnice, etc.).

Foto 2- Bilom după colecistectomie laparoscopică

Limfocelul este o acumulare de limfă, apărută cel mai adesea la pacienții cu transplant de organ (în special transplant renal). În astfel de situații, chirurgul este obligat să pregătească loja în care va fi plast grefonul, ocazie cu care se pot deschide vase limfatice din care să rezulte o limforagie.

Foto 3. Limfocel peri-grefon renal

Seroamele pot avea mai ales cauze traumatice, o situație comună fiind chiar intervenția chirurgicală.

Dr. Dan Adrian Stănescu

Foto 4. Serom post-operator localizat pe fața anterioară a ficatului

În unele cazuri, cum este și cel prezentat mai sus, rezolvarea se poate face prin manevre minim invazive, respectiv drenaj eco-ghidat. Un caz asemănător este și urmatorul, în care decomprimarea căilor biliare cauzată de un obstacol inoperabil este rezolvată prin drenaj biliar extern eco-ghidat.

Foto 5. Drenaj biliar extern eco-ghidat

Datorită similitudinii imagistice cu alte patologii cu acumulare de fluid, ascitele cloazonate sunt mai greu de diagnosticat ecografic, deși prezența lichidului într-o regiune a cavității peritoneale este ușor vizibilă (peste 10 ml de lichid), ecografia fiind în acest caz o metodă sensibilă dar nu foarte specifică.

Foto 6 + 6 a- Ascite cloazonate

Deși rinichii sunt plasați în spațiul retroperitoneal, în subspațiul perinefretic (delimitat anterior de fascia Gerota și posterior de fascia Zukerkandl), totuși urinoamele pot fi localizate și intaperitoneal, printr-o comunicare cu retroperitoneul (realizată

mai ales post-chirurgical). În aceste cazuri, diagnosticul ecografic este simplificat prin detecția colecției lichidiene și asocierea cu o intervenție care a realizat comunicarea cu retroperitoneul. Din fericire, mult mai rare sunt urinoamele depistate în micul bazin, situație în care intervenția chirurgicală lipsește, sau este limitată strict la cavitatea peritoneală. În acest caz, o colecție perinefretică, apărută printr-o necroză a ureterului, poate fi explicată prin legatura anatomică a subspațiului perinefretic cu micul bazin. Pseudo-tumorile inflamatorii au un aspect înșelător (confundate adesea cu tumori, abcese, colecții suprainfectate, etc) și necesită tehnologii ecografice Doppler și micro-angio-Doppler, sau administrarea de substanță de contrast CEUS (ambele cu scopul principal al aprecierii vascularizației formațiunii respective).

Foto 7, Pseudo-tumoră inflamatorie, aspect în modul B și CEUS

Pseudochisturile de pancreas sunt complicații care apar în special la pacienții cu pancreatite acute, sau cu pancreatite cronice care se reacutizează periodic. Pot fi prezente în loja pancreatică sau la distanță, inclusiv în bursa omentală. Peretele colecției lichidine are aspecte variabile, de la foarte subțire (cca 1-2mm) până la un perete îngroșat (peste 1-3 cm), în funcție de gradul de maturare al pseudochistului.

Foto 8. Pseudochist pancreatic nematurat

Un pseudochist cu perete îngroșat (maturat) poate fi drenat chirurgical sau și mai bine, prin plasarea în interiorul lui a unui cateter, sub ghidaj ecografic. Ideală este situția când pseudochistul este plasat retro-gastric, caz în care cateterul de drenaj traversează peretele gastric. După golirea conținutului pseudochistului pe cateter

Fig. 9 Același pacient prezintă pseudochisturi multiple – Calcul volumetric

(de la câteva zile până la 1-2 săptămâni, în funcție de volumul fluidului acumulat) extragerea cateterului poate fi urmată, în ultimul caz, de o fistulă între peretele posterior gastric și peretele anterior al cavității chistice (acum golită de conținut). Fenomenul este benefic pentru pacient întrucât, în caz de recidivă (reacumularea de lichid în cavitatea chistică), acest fluid poate drena prin fistula respectivă direct în stomac și nu mai este necesară o manevră intervențională.

În concluzie, ecografia simplă (modul B) sau combinată cu tehnologii ecografice (Doppler, CEUS, elastografie) este o metodă imagistică de primă intenție, care a depășit demult situația în care era doar o metoda de selecție pentru alte metode de diagnostic imagistic, mai sofisticate și mai scumpe (CT, RMN, PET). Progresele tehnologice au facut din ecografie o metodă de primă alegere în algoritmul diagnosticului imagistic și care este adesea suficientă pentru un diagnostic corect. Pe baza imaginilor ecografice, specialistul poate face adesea o recomandare pertinentă către clinician, privind oportunitatea intervenției chirurgicale sau temporizarea ei. Având o resposabilitate din ce în ce mai crescută, ecografistul are opțiunea de a recomanda și o altă eventuală explorare imagistică (uneori datorită unor multiple artefacte ecografice la pacient). Deasemenea, în limita competenței sale ca specialist, sau ca beneficiar al unor cursuri de formare, ecografistul poate practica el însuși unele proceduri intervenționale minim invazive, ghidate ecografic.

Bibliografie selectiva

1. Gerard M. Doherty, MD, & John H. Boey MD, The Acute Abdomen CURRENT SURGICAL DIAGNOSIS & TREATMENT - 11th Ed. (2003)

2. Maryam Al Ali , Sarah Jabbour , Salma Alrajaby ACUTE ABDOMEN systemic sonographic approach to acute abdomen in emergency department: a case series, Ultrasound J. 2019 Sep 23;11:22.

3. 10.Chen S, Yen Z, Wang H, Lin F, Hsu C, Chen W. Ultrasonography is superior to plain radiography in the diagnosis of pneumoperitoneum. Br J Surg. 2002;89(3):351–354. doi: 10.1046/j.0007-1323.2001.02013

4. Stanescu D.A.Complicatii dupa proceduri interventionale diagnosticate prin ecografie Doppler. A XXI Conferinta Natinala a Societatii Romane de Ultrasonografie in Medicina si Biologie, Brasov 17-19 mai 2018

5. Stanescu D.A. Diagnosticul unor complicatii in sectiile ATI prin ecografie cu tehnici Doppler. A XXIV Conferinta Natinala a Societatii Romane de Ultrasonografie in Medicina si Biologie, Constanta mai 2021

Cum să evităm rezultatele fals pozitive în rezonanța magnetică mamară

How to avoid false positive results in breast MRI

Of all the examinations used in the diagnosis of breast pathology, magnetic resonance imaging has the highest sensitivity (81-100%) and a specificity comparable to that of mammography. The sensitivity of the method can be increased to 100% but this will implicitly lead to a reduction in specificity, with the appearance of many false positive results.

Din păcate în prezent, datorită disponibilității pe scară larga a aparatelor de rezonanță magnetică, rezonanța magnetică mamară (RMM) este utilizată excesiv, fără indicații corespunzătoare, cu apariția multor rezultate fals pozitive. Consecința acestor rezultate este rechemarea repetată a pacientelor pentru reevaluări și reexaminări la intervale regulate de timp, cu creșterea nejustificată a costurilor și deloc de neglijat, cu creșterea anxietății femeilor evaluate. La aceasta contribuie și faptul că deocamdată biopsia percutană ghidată RM este cvasi-inaccesibilă, atât datorită costurilor cât și datorită numărului redus de aparate cu posibilități de biopsiere și a personalului cu experiență în efectuarea acestei manopere.

Rezultatele fals pozitive la examinarea RMM pot fi evitate, în primul rând respectând indicațiile examinării. Dintre acestea, cele mai importante sunt stadializarea locală a cancerului mamar (în special pentru carcinomul lobular invaziv, sau pentru carcinomul ductal cu componentă extensivă de carcinom in situ de tip non-comedo), depistarea multifocalității/multicentricității, sau a leziunilor bilaterale la pacientele cu sâni denși, diagnosticul diferențial între cicatricea postoperatorie și recidiva locală la pacientele operate conservator, metastazele axilare cu bilanț mamo-ecografic negativ și evaluarea integrității implantelor mamare (doar atunci când ecografic există

suspiciune de ruptură și pacienta nu prezintă modificări clinice).

În scop de screening, RMM se utilizează complementar examinării mamografice doar la pacientele BRCA pozitive deși studiile din ultimii ani sugerează utilitatea metodei, efectuată la intervale mai mari de timp (nu anual) și la pacientele cu sâni cu structură glandulară bogată (ACR C și D). Examinarea prin rezonanță magnetică nu poate înlocui mamografia (+/- ecografia mamară) nici în scop de screening, nici pentru evaluarea suplimentară a pacientelor depistate cu leziuni mamo-ecografice suspecte și în nici un caz nu este recomandată înainte de efectuarea biopsiei percutane pentru confirmarea necesității efectuării acesteia sau pentru contraindicarea manoperei.

Tot în scopul evitării rezultatelor fals pozitive (și a celor fals negative), este necesar ca medicul radiolog care urmează să evalueze imaginile să aibă la dispoziție și să cunoască datele clinice ale pacientei (dacă aceasta prezintă o formațiune nodulară, secreție mamelonară, modificări cutanate etc), statusul hormonal și antecedentele patologice ale acesteia (biopsie sau intervenție chirurgicală anterioară și obligatoriu, rezultatul histopatologic) precum și antecedentele familiale și eventualii factori de risc.

Este de asemenea important de specificat motivul pentru care este efectuată examinarea (screening sau evaluare suplimentară) și extrem de important, medicul examinator trebuie să cunoască modificările evidențiate anterior examinării RM la examinarea mamografică și/ sau ecografică (interpretarea imaginilor RM în lipsa examinărilor mamo-ecografice fiind de altfel, alături de tehnica necorespunzătoare, singurele motive pentru care o examinare RM mamară poate să fie finalizată cu un rezultat BI-RADS 0).

În ceea ce privește momentul examinării, este recomandat ca ea să se efectueze în săptămâna a doua a ciclului menstrual (zilele 7-14) dar în cazul pacientelor diagnosticate cu cancer mamar, pentru stadializarea locală, examinarea poate fi efectuată în orice perioadă a acestuia. La pacientele tratate pentru un cancer mamar, se recomandă ca examinarea să nu fie efectuată mai repede de 6 luni de la intervenția chirurgicală (sector) și nu mai repede de 18 luni de la terminarea radioterapiei, deoarece fenomenele inflamatorii care pot persista influențează rezultatul examinării.

În cazul manoperelor intervenționale de diagnostic însă (biopsie aspirativă sau tru-cut), examinarea poate fi efectuată ulterior acesteia, în orice moment, cu mențiunea că în cazul biopsiei asistate de vacuum examinarea RM are o confidență redusă în evaluarea leziunilor restante (leziune restantă versus fenomene inflamatorii).

Dintre modificările semiologice la examinarea RMM, focusurile și hipersemnalul postcontrast de tip non-masă ridică cele mai multe probleme de diagnostic și repezintă sursa principală de rezultate fals pozitive.

Focusul este definit conform lexiconului BI-RADS ca fiind un punct unic de hipersemnal, cu dimensiunea < 5 mm, nespecific, prea mic pentru a fi caracterizat din punct de vedere morfologic și fără corespondent pe imaginile precontrast. Ele sunt frecvent vizibile la examinarea RM iar interpretarea lor trebuie să fie făcută în contextul clinic al pacientei. Ele pot fi datorate unui număr relativ mare de patologii (papiloame, fibroadenoame, mastopatie fibrochistică focală, ganglioni intramamari) și un număr redus de cazuri se datorează unui carcinom ductal invaziv sau in situ (3%).

Conf. Univ. Dr. Anca Ciurea
UMF „Iuliu Hațieganu”, Cluj-Napoca

Focusurile multiple, separate de arii de parenchim normal, fără întărire sau cu întărire progresivă a semnalului pe parcursul examinării reprezintă un model de captare de fond a parenchimului glandular (figura 1).

Fig. 1. Focusuri multiple pe secvența T1 postcontrast, dispersate bilateral, separate de arii de parenchim normal, reprezentând un model de captare de fond a parenchimului glandular.

Încadrarea în clase de risc BI-RADS și strategia de urmat depinde de factorii de risc ai pacientei și de prezența altor modificări RM. Focusurile multiple, cu corespondent în hipersemnal pe secvențele T2, cu hil grăsos prezent, cinetică progresivă și aspect stabil pe examinări succesive sunt mai probabil benigne (figura 2), pe când cele unice și diferite de modelul de captare de fond a parenchimului, fără hil grăsos, cu dinamică de tip „wash-out” sau cu aspect progresiv comparativ cu examinările anterioare, ridică suspiciunea de malignitate și impun biopsierea (figura 3).

Fig. 2. Focusuri multiple de hipersemnal, cu dinamică progresivă, stabile comparativ cu examinările anterioare, încadrabile BI-RADS 2 (benigne) (secvența T1 postcontrast, imagini de substracție).

Fig. 3. Focusuri nou apărute la o pacientă BRCA pozitivă, cu rezultat histopatologic de carcinom ductal invaziv (a doua secventă postcontrast și imaginea de substracție).

La fel ca și focusurile, hipersemnalul postcontrast de tip non-masă se poate asocia atât cu leziuni benigne cât și maligne. Principalii descriptori pentru diagnosticul diferențial în cazul hipersemnalului postcontrast de tip non-masă

sunt distribuția și morfologia internă a semnalului.

Pentru natura benignă pledează bilateralitatea, prezenta chistelor (micro/ macrochiste pe secvențele T2), distribuția regională sau aspectul difuz. Trebuie menționat că aspectul difuz unilateral poate fi întâlnit și în carcinoamele difuze (caz în care, chiar dacă este vorba de un carcinom in situ, pacientele vor prezenta simptome clinice) sau la pacientele cu radioterapie în antecendente, la care în sânul iradiat este suprimată captarea de fond a parenchimului glandular (figura 4).

Fig. 4. Pacientă de 44 de ani care se prezintă pentru mastodinie unilaterală, neciclică și la care prin palpare se constată prezența de numeroase placarde indurate, nespecifice, localizate la nivelul tuturor cadranelor sânului drept. Mamografia nu pune în evidență leziuni patologice într-un sân extrem de dens (ACR 3) iar ecografic se vizualizeaza doar arii discrete de atenuare acustică dispersate la nivelul întregului sân. Examinarea RM pune în evidență o captare difuză de tip non-masă, asimetrică iar rezultatul histopatologic definitiv este de carcinom ductal in situ de tip non-comedo.

Distribuție ductală sau segmentară, aspectul heterogen grosolan sau aglomerarea de captări inelare, în chenar (clustered ring), ridică suspiciunea de malignitate și impun biopsierea (figura 5).

Fig. 5. Hipersemnal postcontrast de tip non-masă cu distributie regională (a) și cu distribuție ductală, grosolană (b), ambele cu rezultat histopatologic de carcinom ductal invaziv.

În cazul hipersemnalului ductal trebuie verificată prezența acestuia și pe secvența T1 precontrast și pe imaginile de substracție, deoarece ectazia ductală, cu canale galactofore dilatate, cu conținut proteic, poate duce la rezultate fals pozitive în cazul în care sunt evaluate doar imaginile postcontrast, nesubstrase (figura 6).

Fig. 6. Hipersemnal ductal vizibil pe secvența T1 postcontrast în sânul drept (a), hipersemnal care se regasește și pe secvența T1 nativă (c) și se șterge pe imaginea de substracție (b) într-un caz de ectazie ductală.

În concluzie, este de reținut că rezonanța magnetică mamară este o metodă cu o sensibilitate care poate atinge valoarea de 100%, dar acest lucru va duce la apariția de numeroase rezultate fals pozitive. Pentru evitarea acestora este necesară respectarea indicațiilor examinării, utilizarea unei tehnici corecte și obligatoriu, corelarea cu examenul clinic și examinările mamo-ecografice. Focusurile și hipersemnalul postcontrast de tip non-masă sunt cele mai frecvente surse de rezultate fals pozitive. O modificare RM încadrabilă BI-RADS 4 sau 5 impune obligatoriu biopsierea, chiar dacă nu există un corespondent mamografic sau ecografic (biopsie RM ghidată).

Bibliografie:

1. Mann RM, Cho N, Moy L. Breast MRI: State of the Art. Radiology. 2019 Sep;292(3):520-536. doi: 10.1148/radiol.2019182947.

2. Eisen A, Fletcher GG, Fienberg S, George R, Holloway C, Kulkarni S, et all. Breast Magnetic Resonance Imaging for Preoperative Evaluation of Breast Cancer: A Systematic Review and Meta-Analysis. Can Assoc Radiol J. 2024 Feb;75(1):118135. doi: 10.1177/08465371231184769.

3. Stout NK, Miglioretti DL, Su YR, Lee CI, Abraham L, Alagoz O, et all. Breast Cancer Screening Using Mammography, Digital Breast Tomosynthesis, and Magnetic Resonance Imaging by Breast Density. JAMA Intern Med. 2024 Oct 1;184(10):1222-1231. doi: 10.1001/jamainternmed.2024.4224.

4. Kubota K, Mori M, Fujioka T, Watanabe K, Ito Y. Magnetic resonance imaging diagnosis of non-mass enhancement of the breast. J Med Ultrason (2001). 2023 Jul;50(3):361-366. doi: 10.1007/s10396023-01290-2.

5. Morris E.A., Comstock C.E. Lee C.H., et al. ACR BI-RADS Magnetic Resonance Imaging. In: ACR BI-RADS Atlas, Breast Imaging Reporting and Data System. Reston, VA, American College of Radiology; 2013.

Imagistica cardiacă – rol, metode și perspective

Cardiac imaging – role, methods and perspectives

Cardiovascular diseases remain the leading cause of mortality worldwide, according to the World Health Organization. Early diagnosis, correct assessment of heart function and the choice of optimal treatment strategies depend largely on medical imaging methods. Cardiac imaging is an interdisciplinary field located at the intersection of cardiology, radiology and biomedical technologies, aiming to provide morphological and functional information about the heart and great vessels. With the development of modern technologies, doctors today have a wide range of imaging tools at their disposal, each with its own characteristics, indications and limitations. The choice of method depends on the clinical context, the suspected pathology and the available resources.

Metode principale de imagistică cardiacă:

1. Ecocardiografia

Ecocardiografia (ECO) reprezintă cea mai utilizată metodă de evaluare a inimii, bazată pe ultrasunete. Ea permite vizualizarea structurilor cardiace în timp real, fără expunere la radiații ionizante. Există mai multe variante:

- Ecocardiografia transtoracică (ETT): metodă standard, neinvazivă, utilizată pentru evaluarea dimensiunilor cavităților, a funcției sistolice și diastolice, precum și a valvelor cardiace.

- Ecocardiografia transesofagiană (ETE): oferă imagini de rezoluție superioară, utilă în detectarea trombilor intracavitari, a endocarditei sau a defectelor septale.

- Ecocardiografia de stres: utilizată în evaluarea ischemiei miocardice prin combinarea efortului fizic sau farmacologic cu vizualizarea ecografică.

- Ecocardiografia 3D și 4D: furnizează informații volumetrice detaliate, utile în planificarea intervențiilor chirurgicale sau transcateter.

Avantajul major al ecocardiografiei îl constituie accesibilitatea și siguranța. Totuși, calitatea imaginilor poate fi limitată de conformația pacientului sau de experiența operatorului.

2. Tomografia computerizată cardiacă (CT cardiac)

Tomografia computerizată multislice (MSCT) permite vizualizarea cu rezoluție foarte mare a anatomiei coronariene și a structurilor cardiace.

Principalele aplicații includ:

- Angio-CT coronariană: metodă neinvazivă pentru excluderea bolii coronariene obstructive la pacienții cu risc intermediar.

- Evaluarea anomaliilor congenitale cardiace și vasculare.

- Planificarea procedurilor structurale: implantarea de valve transcateter (TAVI), ablații sau revascularizări.

Dezavantajele metodei constau în expunerea la radiații ionizante și necesitatea utilizării substanței de contrast iodate, cu risc de nefrotoxicitate sau reacții alergice. Cu toate acestea, optimizarea protocoalelor și dezvoltarea scanerelor de ultimă generație au redus semnificativ aceste riscuri.

3. Rezonanța magnetică cardiacă (RMN cardiac)

RMN-ul cardiac este considerat standardul de aur pentru evaluarea funcției și a țesuturilor miocardice, datorită capacității sale de a furniza imagini detaliate fără radiații ionizante.

Aplicații majore:

- Măsurarea volumelor și fracției de ejecție cu precizie ridicată.

- Caracterizarea tisulară prin tehnici de latență T1/T2 și LGE (Late Gadolinium Enhancement), utile în diagnosticul miocarditelor, cardiomiopatiilor și infarctului miocardic.

- Evaluarea fluxului sanguin și a hemodinamicii intracardiace.

Limitări: contraindicațiile legate de prezența unor implanturi metalice sau dispozitive incompatibile, durata mai mare a examinării și costurile ridicate. Totuși, pentru multe patologii, RMN-ul rămâne investigația imagistică de referință.

4. Medicina nucleară cardiacă (SPECT ş i PET)

Metodele de medicină nucleară oferă informații despre perfuzia ş i metabolismul miocardic:

- Scintigrafia miocardică (SPECT): utilizată pentru evaluarea ischemiei și viabilității miocardice.

- Tomografia cu emisie de pozitroni (PET): oferă imagini cu sensibilitate și rezoluție superioare, fiind utilă în evaluarea metabolismului glucozei și în inflamațiile cardiace (ex. sarcoidoză).

Deși expun pacientul la radiații, aceste tehnici au un rol esențial în stratificarea riscului și alegerea strategiei terapeutice.

Aplicații clinice ale imagisticii cardiace

Imagistica cardiacă este indispensabilă în multiple domenii:

- Boala coronariană: diagnostic, evaluarea extinderii ischemiei și a viabilității miocardice.

- Cardiomiopatii: diferențiere între forme hipertrofice, dilatative sau restrictive.

- Valvulopatii: cuantificarea severității insuficiențelor sau stenozelor valvulare.

- Boli congenitale cardiace: descrierea anatomiei complexe și planificarea intervențiilor chirurgicale.

Conf. Univ. Dr. Bogdan Popa
UMF „Carol Davila“, București

Spectral CT - imagistică revoluționară cu energie duală, bazată pe rezultate spectrale

Integrăm imagistica spectrală în �ecare examinare, pentru toți pacienții.

Sistemul Philips Spectral CT 7500 este un tomograf rapid ce utilizează doze reduse de radiații, capabil să scadă necesitatea repetării scanărilor cu până la 26% în procesul de diagnostic. Acesta poate efectua o scanare completă a regiunilor torace, abdomen și pelvis în doar două secunde.

Proiectat pentru a se adapta tuturor aplicațiilor spectrale, Spectral CT 7500 vă permite să oferiți un nou standard de îngrijire, fără compromisuri, tuturor pacienților.

Rezultate spectrale pentru 100%

din scanări în doar 1-2 minute

Energie fotonică joasă

Energie fotonică înaltă

Detector spectral Vizitați pagina

Spectral CT

Spectral CT Precise Cardiac (AI) îmbunătățește evaluarea studiilor de angiogra�e CT prin reducerea artefactelor coronariene de mișcare. În studiul publicat de Dobrolinska et al. (University Medical Center Utrecht), rezultatele au evidențiat o îmbunătățire de 11 ori a rezoluției temporale efective și o reducere de 11 ori a artefactelor de mișcare.

În studiul realizat de Chen et al., concluziile au demonstrat că interpretarea densității iodului este utilă pentru aprecierea structurii și geometriei stenturilor, iar imaginile MonoE s-au dovedit bene�ce pentru vizualizarea lumenului și îmbunătățirea raportului semnal/zgomot. Rezultatele spectrale au arătat o creștere a performanței în evaluarea stenturilor cu dimensiuni între 1,73 și 3,89 mm, în comparație cu imagistica convențională.

- Insuficiența cardiacă: monitorizarea remodelării ventriculare și ghidarea tratamentului.

- Tumori și mase intracardiace: caracterizarea structurii și a relației cu țesuturile adiacente.

Avantaje şi limite

Avantaje:

- Oferă informații detaliate despre morfologie, funcție și perfuzie.

- Permite diagnosticul precoce și stratificarea riscului cardiovascular.

- Contribuie la planificarea precisă a intervențiilor chirurgicale sau percutane.

Limite:

- Costuri ridicate și disponibilitate inegală între centre.

- Expunerea la radiații și contrast (în cazul CT și SPECT).

- Necesitatea de expertiză multidisciplinară pentru interpretarea corectă. Perspective viitoare în imagistica cardiacă

Viitorul imagisticii cardiace este strâns legat de inovațiile tehnologice și de integrarea inteligenței artificiale. Printre direcțiile de dezvoltare se remarcă:

- Imagistica hibridă (PET-CT, PET-RMN): combină informația funcțională cu cea structurală.

- Reducerea dozelor de radiații și a timpului de examinare.

- Inteligența artificială și învățarea automată: sprijină analiza imaginilor, detecția automată a leziunilor și personalizarea tratamentului.

- Teleimagistica și cloud computing: facilitează accesul rapid la imagini și interpretare la distanță.

Concluzii

Imagistica cardiacă este un pilon esențial al cardiologiei moderne. De la ecocardiografie, accesibilă și rapidă, până la RMN-ul cardiac, cu performanțe de neegalat în caracterizarea tisulară, metodele disponibile acoperă o gamă vastă de nevoi clinice. Alegerea optimă se bazează pe balanța dintre beneficiu și risc, precum și pe resursele disponibile. Integrarea tehnologiilor emergente și a inteligenței artificiale va transforma radical acest domeniu în următorii ani, cu impact major asupra diagnosticării, tratamentului și prognosticului bolilor cardiovasculare.

Bibliografie

1. ESC Guidelines on cardiovascular imaging. European Heart Journal. European Society of Cardiology.

2. Armstrong WF, Ryan T. Feigenbaum’s Echocardiography. 8th Edition. Lippincott Williams & Wilkins, 2018.

3. Budoff MJ, Shinbane JS. Cardiac CT Imaging: Diagnosis of Cardiovascular Disease. 2nd Edition. Springer, 2016.

4. Pennell DJ. Cardiovascular Magnetic Resonance. Circulation, 2010.

5. Slomka PJ, Berman DS. Advances in Nuclear Cardiology. Journal of Nuclear Cardiology, 2021.

6. Taqueti VR, Di Carli MF. Coronary Microvascular Disease Pathogenic Mechanisms and Therapeutic Options. JACC, 2018.

7. Pohost GM, Kim RJ. Diagnostic Role of MRI in Cardiomyopathies. Heart Failure Clinics, 2009.

8. Kramer CM, Barkhausen J, Flamm SD, Kim RJ, Nagel E. Standardized cardiovascular magnetic resonance imaging protocols. J Cardiovasc Magn Reson, 2020.

Malformațiile arteriovenoase uterine, provocări de diagnostic și management terapeutic

Uterine arteriovenous malformations, diagnostic challenges and therapeutic management

Uterine arteriovenous malformations (AVMs) are rare but potentially life-threatening entities, defined by abnormal direct connections between arteries and veins, without the interposition of the capillary network. Clinically, they most often manifest as recurrent or massive vaginal bleeding, occurring after an obstetric event (vaginal birth, cesarean section, abortion, uterine curettage). In these contexts, differential diagnosis is difficult, being frequently confused with postpartum placental retention or gestational trophoblastic disease. Rapid and accurate recognition of the lesion is essential, as early diagnosis and individualized treatment can prevent severe complications.

MConf. Univ. Dr. Mihaela Boț

Medic primar OG, Spitalul Univ. de Urgență Elias București, UMF „Carol Davila“, București

alformațiile arteriovenoase reprezintă conexiuni anormale între sistemul arterial și cel venos, cu flux direct, turbulent, predispus la rupturi și hemoragii severe. Deși pot apărea oriunde în organism, localizările uterine și cerebrale sunt cele mai frecvent raportate și asociate cu risc hemoragic crescut.

MAV-urile uterine pot fi:

• congenitale – determinate de un defect de diferențiere vasculară embrionară, adesea asociate cu alte malformații;

• dobândite – MAV uterine dobândite post-eveniment obstetrical reprezintă cele mai raportate cazuri. Alte cauze (dispozitive intrauterine, neoplasme, boală trofoblastică) sunt mai rare.

În contextul creșterii numărului de intervenții uterine invazive, în special a nașterilor prin operație cezariană, incidența MAV dobândite este în creștere.

Prezentare de caz

Pacienta D.A., în vârstă de 35 de ani, aflată în ziua a 38-a de lăuzie postoperație cezariană, s-a internat în Clinica de Obstetrică-Ginecologie a Spitalului Universitar de Urgență Elias București pentru metroragie abundentă, caracterizată prin eliminare de sânge roșu de cheaguri.

Din istoricul obstetrical reținem o sarcină gemelară bicorionică, biamniotică, obținută prin fertilizare in vitro, dispensarizată corespunzător pe parcursul evoluției.

Antecedentele personale patologice și cele heredo-colaterale sunt nesemnificative.

Investigațiile efectuate la internare au evidențiat β-HCG seric negativ. Analizele de laborator au relevat o anemie ușoară (Hb = 10,2 g/dL), în concordanță cu istoricul de sângerări abundente.

Ecografia transvaginală a descris o formațiune hiperecogenă cu diametrul de aproximativ 36/40 mm, situată la nivelul miometrului anterior, în vecinătatea cornului drept, cu extensie spre cavitatea endometrială (figura 1).

La examinarea Doppler color s-au evidențiat spații anecoice tubulare, cu aspect de rețea vasculară dezorganizată și flux turbulent, caracterizat prin PSV = 41 cm/s și RI = 0,25 (figura 2), elemente sugestive pentru o patologie vasculară uterină.

Pe baza acestor date, diagnosticul inițial a fost de retenție placentară post-partum. S-a practicat curetaj aspirativ sub ghidaj ecografic, extrăgându-se cheaguri de sânge și fragmente tisulare nespecifice. Procedura a fost urmată de hemoragie uterină severă, care a necesitat măsuri de hemostază medicamentoasă (acid tranexamic, uterotonice – maleat de ergometrină și oxitocină).

Rezultatul anatomopatologic a evidențiat: cheaguri fibrino-hemato-leucocitare ce înglobau resturi glandulare dilacerate, resturi de stromă endometrială densă, fragmente de miometru indemn și resturi de endometru indemn. Acest rezultat a confirmat faptul că procedura nu a identificat țesut trofoblastic sau resturi placentare, ci doar structuri nespecifice, ceea ce demonstrează că intervenția a fost ineficientă și potențial dăunătoare, cu risc de hemoragie suplimentară și lezare inutilă a endometrului și miometrului.

Evoluția ulterioară a fost caracterizată

prin persistența unei sângerări vaginale mult diminuate, dar recurente.

Examinările imagistice de control (ecografie Doppler) au relevat prezența unei formațiuni vasculare de tip „ghem vascular”.

Examinarea IRM pelvin (nativ și cu substanță de contrast) a evidențiat un uter anteversat, cu cicatrice post-cezariană pe peretele anterior al istmului, și o formațiune nodulară localizată endometrial, spre cornul drept al uterului (intramural), cu dimensiuni axiale de aproximativ 7/13 mm. Leziunea prezenta semnal izointens cu miometrul, caracter hipervascular, cu captare intensă de contrast în timp arterial și wash-out rapid, străbătută de vase ectaziate cu traiect către parametru (figura 3).

Concluzia examenului IRM: imagine nodulară hipervasculară endometrială la nivelul cornului drept uterin, sugestivă pentru malformație arteriovenoasă uterină.

Diagnosticul stabilit a fost de MAV uterină dobândită, apărută secundar evenimentului obstetrical.

În ceea ce privește tratamentul, conform recomandărilor din literatura de specialitate, embolizarea arterei uterine reprezintă tratamentul de primă linie în MAV uterine simptomatice, cu sângerare activă și dorință de conservare a fertilității. În cazul de față, această procedură a fost propusă, însă a fost refuzată de către pacientă. S-a recurs astfel la tratament de linia a II-a, cu agoniști GnRH administrați timp de 6 luni, conduită care a permis involuția aproape completă a malformației și remiterea simptomatologiei.

Pacienta a fost reevaluată periodic prin examen clinic și ecografie transvaginală cu Doppler, pe durata terapiei și după finalizarea acesteia. La 6 luni după finalizarea tratamentului, investigațiile imagistice au evidențiat involuția aproa-

pe completă a formațiunii vasculare, cu absența simptomatologiei clinice.

Cazul prezentat ilustrează una dintre situațiile clinice în care diagnosticul diferențial este dificil, iar alegerea conduitelor terapeutice trebuie individualizată.

Management terapeutic În general, alegerea tratamentului se bazează pe:

• severitatea hemoragiilor și stabilitatea hemodinamică,

• dorința de păstrare a fertilității,

• dimensiunea și localizarea MAV,

• parametrii Doppler (PSV = peak systolic velocity).

1. Tratamentul conservator

Include utilizarea de agoniști ai GnRH, progestative, contraceptive orale combinate, danazol și uterotonice, singure sau în asociere.

• Este recomandat în formele ușoare, cu hemoragii moderate și pacientele care doresc menținerea fertilității.

• Necesită monitorizare atentă prin ecografie Doppler pentru a documenta evoluția și regresia leziunii.

2. Embolizarea selectivă a arterei uterine (UAE)

• Reprezintă tratamentul de elecție în cazurile cu sângerări semnificative, cu menținerea potențialului reproductiv.

• Are o rată de succes cuprinsă între 71–93%, cu posibilitatea de a fi repetată în cazurile cu răspuns incomplet.

• Datele din literatură arată că, atunci când este efectuată corect, nu influențează negativ fertilitatea sau dezvoltarea placentară în sarcinile ulterioare.

3. Tratamentul chirurgical

• Este rezervat cazurilor severe, refractare la tratamentul conservator sau minim invaziv, ori celor în care pacienta prezintă instabilitate hemodinamică.

• Opțiunile includ ligatura arterelor uterine sau histerectomia în situațiile extreme, cu hemoragii amenințătoare de viață. Un element central în alegerea conduitei terapeutice îl reprezintă clasificarea severității malformației pe baza parametrilor Doppler, în special a vitezei sistolice maxime (PSV). Acest indicator hemodinamic reflectă intensitatea fluxului vascular și se corelează direct cu riscul hemoragic.

Astfel:

• pentru PSV < 40 cm/s, riscul este redus, iar conduita recomandată este conservatoare, cu tratament medicamentos și monitorizare ecografică periodică;

• pentru PSV 40–60 cm/s, se poate iniția tratament medical, dar în absența regresiei leziunii se impune embolizarea arterei uterine;

• pentru PSV > 60–70 cm/s, fluxul crescut implică un risc major de sângerare, ceea ce justifică adoptarea unei conduite invazive de primă intenție, reprezentată de embolizare selectivă sau, în cazuri extreme, de tratament chirurgical. Prin urmare, clasificarea Doppler pe baza valorilor PSV nu are doar valoare diagnostică, ci și un rol esențial în algoritmul decizional, orientând clinicianul către terapia conservatoare, minim invazivă sau chirurgicală, în funcție de gradul de severitate al malformației. Totodată, alegerea finală a conduitei trebuie să se facă în urma unei consilieri detaliate a pacientei, cu prezentarea riscurilor, beneficiilor și a posibilității unui răspuns terapeutic nefavorabil, pe baza obținerii consimțământului informat, având în vedere faptul că în absența tratamentului, MAV uterine pot pune în pericol viața prin hemoragii masive.

Concluzii

Malformațiile arteriovenoase uterine constituie o patologie rară, dar potențial severă, fiind adesea diagnosticate în perioada post-partum și confundate cu retenția placentară sau alte entități. Ecografia transvaginală cu Doppler color reprezintă metoda de elecție pentru diagnostic, iar clasificarea pe baza parametrilor hemodinamici are valoare practică în alegerea conduitei terapeutice.

Referinţe bibliografice

1. García-Lima L, et al. The Management of Uterine Arteriovenous Malformations. PMC, 2024. Disponibil online.

2. Le ND, et al. Uterine arteriovenous malformation or uterine artery pseudoaneurysm. Journal of Medical Case Reports, 2025.

3. Kim T, et al. Management of bleeding uterine arteriovenous malformation. Yonsei Medical Journal, 2014; 55(2):367-374.

4. Rosen A, Chan WV, Matelski J, et al. Medical treatment of uterine arteriovenous malformation: a systematic review and meta-analysis. Fertility and Sterility, 2021.

5. Delplanque S, et al. Fertility, Pregnancy, and Clinical Outcomes after Uterine Artery Embolization. 2019.

6. Clavero Bertomeu L, Castro Portillo L, Fernández-Conde de Paz C. Uteri-

ne Arteriovenous Malformation: Diagnostic and Therapeutic Challenges. Diagnostics, 2024;14(11):1084

7. Hebbar S, Kramadhari H, Sharma R, Bhat R, Shah K. Uterine arteriovenous malformation: A retrospective study from a tertiary center in southern Karnataka. F1000Research, 2025;14:554.

8. Gao F, et al. Management of Acquired Uterine Arteriovenous Malformations Associated with Retained Products of Conception. 2022. Journal of Vascular and Interventional Radiology (J Vasc Interv Radiol), Volume 33, Issue 5, May 2022.

9. Tan CCP, et al. Uterine Arteriovenous Malformation: A Rare Cause of Postpartum Hemorrhage. Journal of Medical Case Reports, 2017.

10. Hashim H, Sultan A, Agrawal S, et al. Uterine Arteriovenous Malformation. PMC 2013; articol de revizuire.

Figura 1 – imagine hiperecogenă, neregulată, localizată la nivelul peretelui uterin anterior, cu protruzie în cavitatea uterină

Figura 2 - Ecografie transvaginală cu Doppler color: se observă vase anormale, spații anecoice tubulare și flux arterial-venos turbulent

Figura 3 – IRM pelvin cu substanță de contrast: imagine nodulară hipervasculară situată endometrial la nivelul cornului drept uterin

Conceptul de placă de aterom vulnerabilă – cum este integrat în noua paradigmă de stratificare a riscului de eveniment coronarian acut și care este rolul examinării CT

coronariene

The concept of vulnerable plaque – how we integrate it in the new risk stratification paradigm of the acute coronary event and what is the role of the coronary CT examination

According to the WHO (World Health Organization), cardiovascular diseases continue to represent the major cause of morbidity among the population of developed countries, and acute myocardial infarction (MI) due to coronary disease remain the most important cause of mortality. Despite the development of anti-atherosclerotic therapies, the incidence of acute coronary events remains high. This is a fact that claim the need for improvement and refinement of strategies to reduce cardiovascular risk, perfecting the methods of early diagnosis of the coronary atherosclerotic disease and individualizing the preventive therapies. CT angiography is, at this moment, an signifiant part of the coronary atherosclerotic disease diagnostic algoritm and an important tool to guide cardio-vascular prevention.

Medic primar Radiologie-Imagistică

Medicală, Clinica Medlife

Grivița, București

Conform WHO (World Health Organisation) bolile cardio-vasculare continua sa reprezinte cauza majora de morbiditate in randul populatiei tarilor dezvoltate iar infarctul miocardic (IM) acut prin boala coronariana ramane cea mai frecventa cauza de mortalitate.

Atheroscleroza, principalul mecanism patofiziologic implicat în apariția și evoluția bolii cardio-vasculare (CV), este un proces multifocal sistemic care începe, de multe ori, la vârste tinere și are o fază lungă de repaus înainte de apariția manifestărilor clinice.

În ciuda dezvoltării terapiilor anti-aterosclerotice, incidența evenimentului coronarian acut ramâne ridicată. De aici, nevoia de perfecționare a strategiilor de reducere a riscului cardio-vascular. În acest context, este evident interesul major de a rafina și a desăvârși metodele de diagnostic precoce și de a individualiza terapiile preventive.

Sindromul coronarian acut (SCA) poate fi prima manifestare a bolii coronariene (CAD). Înţelegerea mecanismelor responsabile de apariția SCA, respectiv a infarctului miocardic, a evoluat progresiv în ultimii 30 de ani.

Inițial, relevanța în apariția infarctului de miocard a fost atribuită stenozei coronariene semnificative, iar plăcile de aterom calcificate au fost considerate ca fiind principala expresie a bolii aterosclerotice.

Dovezile, până în prezent, indică faptul că factorii de risc tradiționali singuri nu reușesc să stratifice cu acuratețe indivizii asimptomatici, care sunt încadrabili în categoria de risc ridicat pentru evenimente de boală cardiovasculară aterosclerotică.

Saltul tehnologic din imagistica non-invazivă cardiacă oferă oportunități de detecție în stadiul latent, subclinic, al ateromatozei coronariene.

Evidențierea și mai ales gradul de încărcare al arterelor coronare cu placi de aterom deja calcificate, oferă informații directe asupra prezenței și extinderii bolii coronariene, iar modalitatea neinvazivă de a depista existența și distribuția calcificărilor coronariene este Tomografia Computerizata (CT) cu protocol dedicat cuantificării scorul coronarian de calciu (CAC).

Detectarea directă a CAC prin CT a fost efectuată pentru prima dată în anii ’80, cu sisteme ce utilizau fascicul de electroni (Electron Beam CT scanning) iar ulterior, începând cu anii ’90, cu ajutorul sistemelor cu rezoluție spațială mai înaltă, de tipul celor multidetector, multislice cu achiziție spirală.

Studii extinse au validat scorul CAC ca fiind un bun predictor al riscului abso-

lut de evenimente coronariene pe durata de 10 ani, la indivizii asimptomatici cu risc intermediar.

Marea majoritate a ghidurilor de practică publicate de către societățile de cardiologie includ scorul CAC ca factor de evaluare și predicție a riscului cardio-vascular, dincolo de factorii tradiționali de risc (sindromul metabolic, dislipidemia, HTA, fumatul, obezitatea, sedentarismul).

Ghidul 2018 al ACC (Colegiul American de Cardiologie)/AHA (Asociația Americană a Inimii) recomandă ca scorul CAC să fie luat în considerare la indivizii selectați, care sunt la un risc intermediar de 10 ani (Clasa de recomandare 2a).

Ghidul 2021 ESC (Societatea Europeană de Cardiologie)/EAS (Societatea Europeană de Ateroscleroză) pentru managementul colesterolului afirmă că scorul CAC poate fi indicat pentru a îmbunătăți clasificarea riscului (Clasa de Recomandare IIb, Nivel de Evidență: B).

Orientările ACC/AHA și ESC/EAS împărtășesc strategii similare pentru evaluarea riscului folosind factori de risc tradiționali, dar diferă în ceea ce privește modul în care selectează persoanele ce ar putea beneficia de o scanare pentru cuantificarea CAC, precum și modul în care aplică scorul CAC pentru o rafinare suplimentară a riscului.

Astfel, ghidul ACC/AHA oferă valori specifice scorului CAC pentru a ghida reclasificarea riscului de boală cardio-vasculară, în timp ce ghidurile ESC/EAS,

Dr. Ofelia Niță

nu. În mod similar, ghidul ACC/AHA oferă mai multe îndrumări atunci când definește cine poate beneficia de reclasificarea riscului cu scorul CAC, în timp ce ghidul ESC/EAS doar recunoaște că scorul poate reclasifica riscul cardio-vascular în sus și în jos la indivizi în jurul pragurilor de decizie de tratament.

Cu toate diferențele de viziune, este unanim acceptată utilitatea stabilirii scorului CAC prin tomografie computerizată ca biomarker individual în algoritmul de rafinare a stratificării riscului cardio-vascular.

Important, un scor CAC de zero a fost asociat cu un risc extrem de scăzut de evenimente CV adverse viitoare, pe o perioadă estimată la 10 ani, dar nu „fără risc” și nu substituindu-se judecății clinice.

Pe de altă parte, este bine-cunoscut faptul că prezența calcificărilor reprezintă o manifestare a aterosclerozei coronariene avansate și nu a celei de debut . Astfel, persistă incertitudini privind aplicarea optimă a scorului CAC pentru prevenția primară a bolii cardio-vasculare.

În prezent, două trial-uri sunt în desfășurare pentru a evalua eficacitatea CAC în prevenția bolii cardio-vasculare aterosclerotice și anume: cel olandez ROBINSCA (Risk or Benefit in Screening for Cardiovascular disease) și trial-ul American CorCal (Effectiveness of a Proactive Cardiovascular Primary Prevention Strategy, With or Without the Use of Coronary Calcium Screening, in Preventing Future Major Adverse Cardiac Events).

Este de așteptat ca rezultatele acestor studii să ofere dovezile atât de necesare cu privire la utilitatea CAC pentru evaluarea riscului la indivizii asimptomatici, comparativ cu strategiile de prevenție primară predominant bazate pe factori de risc tradiționali.

În ceea ce privește elementul trigger, s-a conturat ideea lipsei unei corelații directe între prezența calcificărilor, stenoza coronariană semnificativă și declanșarea evenimentului coronarian advers major (MACE).

Inițial, angiografia coronariană și ulterior ecografia endovasculară (IVUS) împreună cu studiile histopatologice au reprezentat modalități disponibile pentru a studia relația dintre boala aterosclerotică coronariană și sindromul coronarian acut și au permis trei observații de o importanță deosebită:

• progresia plăcii de aterom este însoțită de augmentarea compensatorie a ariei secțiunii transversale a vasului și nu asociază îngustarea relevantă a lumenului decât în condițiile în care placa depășește 40% din aria de secțiune a arterei. Cu alte cuvinte, chiar și o placă voluminoasă poate determina doar o îngustare lumenală ușoară datorită remodelării peretelui vascular, iar stenozele nesemnificative pot ascunde plăci de aterom voluminoase.

• ocluziile coronariene trombotice induc leziuni ischemice mai frecvent în absența stenozelor coronariene semnificative și se datorează complicării plăcilor subsecvente voluminoase, necalcificate.

• în cele din urmă, studiile patologice au demonstrat cauzele subiacente obstrucției coronariene acute: ruptura, fragmentarea și embolizarea plăcii de aterom, eroziunea plăcii complicată cu tromboză, aspecte semnificativ mai frecvente decât progresia calcificărilor din structura plăcii și stenoza severă a lumenului vascular.

Sub acest auspiciu, conceptul de „placa vulnerabilă” a devenit relevant. Au fost identificate 4 prototipuri morfo-histologice asociate riscului înalt de declanșare a MACE. Plăcile aterosclerotice coronariene susceptibile la ruptură au morfologie distinctă, în comparație cu cele stabile. În linii mari, cele patru morfotipuri, stabilite ca atare prin corelație cu IVUS și cu aspectul histo-patologic, sunt descrise ca și:

• placă voluminoasă cu structura predominant lipidică, localizată la limita intimă-medie a arterei, fără îngustare semnificativă a lumenului subiacent; asociază sau nu „dilatarea” arterei prin remodelarea pozitivă a peretelui,

• depozit cu structură moale, predominant lipidică, dar delimitat prin lizereu („capișon”) fibros,

• placă degradată în porțiunea centrală prin hemoragie/necroză (napkin-ring sign),

• microcalcificări (spotty calcification) în placa lipidică/ fibrolipidică.

În cazul plăcilor vulnerabile, riscul de MACE nu se corelează fidel cu gradul stenozei, ci cu predispoziția la eroziune, ruptură, tromboză. De aici importanța identificării precoce a plăcii cu risc, iar

singura metodă imagistică neinvazivă relevantă în evidențierea, caracterizarea și încadrarea morfo-structurală a plăcii vulnerabile este considerată, în prezent, angio-coronarografia CT.

O serie de studii clinice au definit și întărit conceptul de placă vulnerabilă cu risc înalt de a se complica, arătând, spre exemplu, că leziunile non-obstructive diagnosticate prin angio-CT coronarian au avut relevanţă prognostică și că prezenţa depozitelor aterosclerotice pe mai mult de 5 segmente a fost asociată cu o supraviețuire redusă în perioada de urmărire.

În 2009, un grup japonez a stabilit conceptul de „placă vulnerabilă’’ cu caracteristici morfologice particulare la examinarea CT. Motoyama et al. (9) a definit remodelarea pozitivă și a prezentat densitățile CT <30 unități Hounsfield în placă ca și caracteristică a semiologiei plăcii vulnerabile. Cuprinzând în studiu o cohortă de 1.059 pacienți, a arătat că atât prezența remodelării pozitive precum și a densității CT scăzute în structura plăcii, în special atunci când cele două aspecte semiologice sunt asociate, ridică semnificativ probabilitatea de MACE.

În acelasi timp, studiul SCOT Heart (Scottish Computed Tomografia inimii) randomizat pe 4.146 de pacienți supuși unui test de angiografie CT a cordului, a arătat că absența versus prezența plăcii vulnerabile se corelează cu un risc de 1,4% versus 4,1% pentru infarct miocardic acut, sau deces de cauză cardiacă într-o perioadă de 5 ani . Studiul concluzionează faptul că, utilizarea angio-CT în asociere cu îngrijirea standard, are ca rezultat o reducere importantă a decesului prin boală coronariană și a infarctului miocardic non-letal. Este primul studiu de anvergură care a demonstrat în mod definitiv un astfel de beneficiu al metodei. În cele din urmă, diagnosticul precoce, cuplat cu tratamentul personalizat al bolii coronariene non-obstructive, explică efectele benefice ale angio-CT coronariene în prevenție.

Astfel, angiografia CT coronariană (CCTA), recunoscută inițial ca tehnică imagistică utilă doar în excluderea bolii aterosclerotice coronariene, avand o valoare predictivă negativă excelentă, a câștigat rapid o largă acceptare și recunoastere prin noi valențe, cum este cea de caracterizare a structurii placii de aterom și identificare a plăcii cu risc pentru MACE. Text integral pe: revistamedicalmarket.ro

Conceptul de placă de aterom vulnerabilă – cum este integrat în noua paradigmă de stratificare a riscului de eveniment coronarian acut și care este rolul examinării CT

coronariene

The concept of vulnerable plaque – how we integrate it in the new risk stratification paradigm of the acute coronary event and what is the role of the coronary CT examination

According to the WHO (World Health Organization), cardiovascular diseases continue to represent the major cause of morbidity among the population of developed countries, and acute myocardial infarction (MI) due to coronary disease remain the most important cause of mortality. Despite the development of anti-atherosclerotic therapies, the incidence of acute coronary events remains high. This is a fact that claim the need for improvement and refinement of strategies to reduce cardiovascular risk, perfecting the methods of early diagnosis of the coronary atherosclerotic disease and individualizing the preventive therapies. CT angiography is, at this moment, an signifiant part of the coronary atherosclerotic disease diagnostic algoritm and an important tool to guide cardio-vascular prevention.

Medic primar Radiologie-Imagistică

Medicală, Clinica Medlife

Grivița, București

Conform WHO (World Health Organisation) bolile cardio-vasculare continua sa reprezinte cauza majora de morbiditate in randul populatiei tarilor dezvoltate iar infarctul miocardic (IM) acut prin boala coronariana ramane cea mai frecventa cauza de mortalitate.

Atheroscleroza, principalul mecanism patofiziologic implicat în apariția și evoluția bolii cardio-vasculare (CV), este un proces multifocal sistemic care începe, de multe ori, la vârste tinere și are o fază lungă de repaus înainte de apariția manifestărilor clinice.

În ciuda dezvoltării terapiilor anti-aterosclerotice, incidența evenimentului coronarian acut ramâne ridicată. De aici, nevoia de perfecționare a strategiilor de reducere a riscului cardio-vascular. În acest context, este evident interesul major de a rafina și a desăvârși metodele de diagnostic precoce și de a individualiza terapiile preventive.

Sindromul coronarian acut (SCA) poate fi prima manifestare a bolii coronariene (CAD). Înţelegerea mecanismelor responsabile de apariția SCA, respectiv a infarctului miocardic, a evoluat progresiv în ultimii 30 de ani.

Inițial, relevanța în apariția infarctului de miocard a fost atribuită stenozei coronariene semnificative, iar plăcile de aterom calcificate au fost considerate ca fiind principala expresie a bolii aterosclerotice.

Dovezile, până în prezent, indică faptul că factorii de risc tradiționali singuri nu reușesc să stratifice cu acuratețe indivizii asimptomatici, care sunt încadrabili în categoria de risc ridicat pentru evenimente de boală cardiovasculară aterosclerotică.

Saltul tehnologic din imagistica non-invazivă cardiacă oferă oportunități de detecție în stadiul latent, subclinic, al ateromatozei coronariene.

Evidențierea și mai ales gradul de încărcare al arterelor coronare cu placi de aterom deja calcificate, oferă informații directe asupra prezenței și extinderii bolii coronariene, iar modalitatea neinvazivă de a depista existența și distribuția calcificărilor coronariene este Tomografia Computerizata (CT) cu protocol dedicat cuantificării scorul coronarian de calciu (CAC).

Detectarea directă a CAC prin CT a fost efectuată pentru prima dată în anii ’80, cu sisteme ce utilizau fascicul de electroni (Electron Beam CT scanning) iar ulterior, începând cu anii ’90, cu ajutorul sistemelor cu rezoluție spațială mai înaltă, de tipul celor multidetector, multislice cu achiziție spirală.

Studii extinse au validat scorul CAC ca fiind un bun predictor al riscului abso-

lut de evenimente coronariene pe durata de 10 ani, la indivizii asimptomatici cu risc intermediar.

Marea majoritate a ghidurilor de practică publicate de către societățile de cardiologie includ scorul CAC ca factor de evaluare și predicție a riscului cardio-vascular, dincolo de factorii tradiționali de risc (sindromul metabolic, dislipidemia, HTA, fumatul, obezitatea, sedentarismul).

Ghidul 2018 al ACC (Colegiul American de Cardiologie)/AHA (Asociația Americană a Inimii) recomandă ca scorul CAC să fie luat în considerare la indivizii selectați, care sunt la un risc intermediar de 10 ani (Clasa de recomandare 2a).

Ghidul 2021 ESC (Societatea Europeană de Cardiologie)/EAS (Societatea Europeană de Ateroscleroză) pentru managementul colesterolului afirmă că scorul CAC poate fi indicat pentru a îmbunătăți clasificarea riscului (Clasa de Recomandare IIb, Nivel de Evidență: B).

Orientările ACC/AHA și ESC/EAS împărtășesc strategii similare pentru evaluarea riscului folosind factori de risc tradiționali, dar diferă în ceea ce privește modul în care selectează persoanele ce ar putea beneficia de o scanare pentru cuantificarea CAC, precum și modul în care aplică scorul CAC pentru o rafinare suplimentară a riscului.

Astfel, ghidul ACC/AHA oferă valori specifice scorului CAC pentru a ghida reclasificarea riscului de boală cardio-vasculară, în timp ce ghidurile ESC/EAS,

Dr. Ofelia Niță

nu. În mod similar, ghidul ACC/AHA oferă mai multe îndrumări atunci când definește cine poate beneficia de reclasificarea riscului cu scorul CAC, în timp ce ghidul ESC/EAS doar recunoaște că scorul poate reclasifica riscul cardio-vascular în sus și în jos la indivizi în jurul pragurilor de decizie de tratament.

Cu toate diferențele de viziune, este unanim acceptată utilitatea stabilirii scorului CAC prin tomografie computerizată ca biomarker individual în algoritmul de rafinare a stratificării riscului cardio-vascular.

Important, un scor CAC de zero a fost asociat cu un risc extrem de scăzut de evenimente CV adverse viitoare, pe o perioadă estimată la 10 ani, dar nu „fără risc” și nu substituindu-se judecății clinice.

Pe de altă parte, este bine-cunoscut faptul că prezența calcificărilor reprezintă o manifestare a aterosclerozei coronariene avansate și nu a celei de debut . Astfel, persistă incertitudini privind aplicarea optimă a scorului CAC pentru prevenția primară a bolii cardio-vasculare.

În prezent, două trial-uri sunt în desfășurare pentru a evalua eficacitatea CAC în prevenția bolii cardio-vasculare aterosclerotice și anume: cel olandez ROBINSCA (Risk or Benefit in Screening for Cardiovascular disease) și trial-ul American CorCal (Effectiveness of a Proactive Cardiovascular Primary Prevention Strategy, With or Without the Use of Coronary Calcium Screening, in Preventing Future Major Adverse Cardiac Events).

Este de așteptat ca rezultatele acestor studii să ofere dovezile atât de necesare cu privire la utilitatea CAC pentru evaluarea riscului la indivizii asimptomatici, comparativ cu strategiile de prevenție primară predominant bazate pe factori de risc tradiționali.

În ceea ce privește elementul trigger, s-a conturat ideea lipsei unei corelații directe între prezența calcificărilor, stenoza coronariană semnificativă și declanșarea evenimentului coronarian advers major (MACE).

Inițial, angiografia coronariană și ulterior ecografia endovasculară (IVUS) împreună cu studiile histopatologice au reprezentat modalități disponibile pentru a studia relația dintre boala aterosclerotică coronariană și sindromul coronarian acut și au permis trei observații de o importanță deosebită:

• progresia plăcii de aterom este însoțită de augmentarea compensatorie a ariei secțiunii transversale a vasului și nu asociază îngustarea relevantă a lumenului decât în condițiile în care placa depășește 40% din aria de secțiune a arterei. Cu alte cuvinte, chiar și o placă voluminoasă poate determina doar o îngustare lumenală ușoară datorită remodelării peretelui vascular, iar stenozele nesemnificative pot ascunde plăci de aterom voluminoase.

• ocluziile coronariene trombotice induc leziuni ischemice mai frecvent în absența stenozelor coronariene semnificative și se datorează complicării plăcilor subsecvente voluminoase, necalcificate.

• în cele din urmă, studiile patologice au demonstrat cauzele subiacente obstrucției coronariene acute: ruptura, fragmentarea și embolizarea plăcii de aterom, eroziunea plăcii complicată cu tromboză, aspecte semnificativ mai frecvente decât progresia calcificărilor din structura plăcii și stenoza severă a lumenului vascular.

Sub acest auspiciu, conceptul de „placa vulnerabilă” a devenit relevant. Au fost identificate 4 prototipuri morfo-histologice asociate riscului înalt de declanșare a MACE. Plăcile aterosclerotice coronariene susceptibile la ruptură au morfologie distinctă, în comparație cu cele stabile. În linii mari, cele patru morfotipuri, stabilite ca atare prin corelație cu IVUS și cu aspectul histo-patologic, sunt descrise ca și:

• placă voluminoasă cu structura predominant lipidică, localizată la limita intimă-medie a arterei, fără îngustare semnificativă a lumenului subiacent; asociază sau nu „dilatarea” arterei prin remodelarea pozitivă a peretelui,

• depozit cu structură moale, predominant lipidică, dar delimitat prin lizereu („capișon”) fibros,

• placă degradată în porțiunea centrală prin hemoragie/necroză (napkin-ring sign),

• microcalcificări (spotty calcification) în placa lipidică/ fibrolipidică. În cazul plăcilor vulnerabile, riscul de MACE nu se corelează fidel cu gradul stenozei, ci cu predispoziția la eroziune, ruptură, tromboză. De aici importanța identificării precoce a plăcii cu risc, iar singura metodă imagistică neinvazivă relevantă în evidențierea, caracterizarea

și încadrarea morfo-structurală a plăcii vulnerabile este considerată, în prezent, angio-coronarografia CT.

O serie de studii clinice au definit și întărit conceptul de placă vulnerabilă cu risc înalt de a se complica, arătând, spre exemplu, că leziunile non-obstructive diagnosticate prin angio-CT coronarian au avut relevanţă prognostică și că prezenţa depozitelor aterosclerotice pe mai mult de 5 segmente a fost asociată cu o supraviețuire redusă în perioada de urmărire.

În 2009, un grup japonez a stabilit conceptul de „placă vulnerabilă’’ cu caracteristici morfologice particulare la examinarea CT. Motoyama et al. (9) a definit remodelarea pozitivă și a prezentat densitățile CT <30 unități Hounsfield în placă ca și caracteristică a semiologiei plăcii vulnerabile. Cuprinzând în studiu o cohortă de 1.059 pacienți, a arătat că atât prezența remodelării pozitive precum și a densității CT scăzute în structura plăcii, în special atunci când cele două aspecte semiologice sunt asociate, ridică semnificativ probabilitatea de MACE.

În acelasi timp, studiul SCOT Heart (Scottish Computed Tomografia inimii) randomizat pe 4.146 de pacienți supuși unui test de angiografie CT a cordului, a arătat că absența versus prezența plăcii vulnerabile se corelează cu un risc de 1,4% versus 4,1% pentru infarct miocardic acut, sau deces de cauză cardiacă într-o perioadă de 5 ani . Studiul concluzionează faptul că, utilizarea angio-CT în asociere cu îngrijirea standard, are ca rezultat o reducere importantă a decesului prin boală coronariană și a infarctului miocardic non-letal. Este primul studiu de anvergură care a demonstrat în mod definitiv un astfel de beneficiu al metodei. În cele din urmă, diagnosticul precoce, cuplat cu tratamentul personalizat al bolii coronariene non-obstructive, explică efectele benefice ale angio-CT coronariene în prevenție.

Astfel, angiografia CT coronariană (CCTA), recunoscută inițial ca tehnică imagistică utilă doar în excluderea bolii aterosclerotice coronariene, avand o valoare predictivă negativă excelentă, a câștigat rapid o largă acceptare și recunoastere prin noi valențe, cum este cea de caracterizare a structurii placii de aterom și identificare a plăcii cu risc pentru MACE.

Tehnologia actuală de vârf a dezvoltat scannere cu detector larg și cu rezoluție

temporală semnificativ îmbunătățită, ce permit examinarea cordului pe parcursul unui singur ciclu cardiac, scăzând dependența de bradicardizare a ritmulului cardiac.

În același timp, prin modalități diverse de reducere semnificativă a dozei de iradiere, examinarea angio-CT devine o metodă extrem de competitivă în raport cu celelalte modalități de diagnostic imagistic.

Spre exemplificare, iată câteva imagini de coronarografie CT, în care sunt prezentate morfotopurile de plăci de aterom vulnerabile.

Deși angiocoronarografia invazivă rămâne metoda gold-standard de clasificare a stenozei coronariene, este evident faptul că imagistica prin angio-CT a arterelor coronare, nefiind restricționată la evaluarea de tip luminografie, respectiv nefiind limitată la diagnoza și cuantificarea stenozei coronariene, oferă informații suplimentare definitorii pentru încadrarea bolii aterosclerotice coronariene, cu relevanță majoră în evidențierea criteriilor de vulnerabilitate ale plăcii de aterom.

Odată cu acumularea dovezilor privind semnificația prognostică a plăcii vulnerabile nonobstructive, putem vorbi despre o schimbare de paradigmă în abordarea conceptului de prevenție, prin conștientizarea importanței de a crește nivelul depistării precoce a plăcii cu risc ca parte a prevenției primare, pe lângă abordarea tradițională de prevenție, secundară, orientată spre diagnosticul și tratarea prin metode intervenționale/ chirurgicale a stenozei coronariene semnificative.

Interesant, totuși, după emoția inițială asociată acestor observații și speranțele legate de beneficiile evocării elementelor structurale de risc ale placii în raport cu severitatea stenozei în declansarea MACE, o serie de studii mari de cohortă, deși confirmă corelarea plăcii vulnerabile cu evenimente ischemice viitoare, atrag în același timp atenția asupra faptului că, marea majoritate a pacienților cu leziuni cu risc ridicat detectate imagistic nu vor suferi un eveniment coronarian acut.

Sintetizând, existența plăcii vulnerabile nu indică neapărat o vulnerabilitate a pacientului.

Cu alte cuvinte, deși majoritatea MACE sunt asociate complicațiilor survenite la nivelul plăcilor cu risc, nere-

levant stenozante, statistic, riscul ca o stenoză coronariană înaltă să determine SCA este superior celui asociat unei singure stenoze nesemnificative.

PROMISE (Prospective Multicenter Imaging Study for Evaluation of Chest Pain), ce cuprinde cohorta de 10.004 pacienți cu suspiciune de boală coronariană, dintre care 4.415 au fost randomizați pentru a fi supuși coronarografiei CT și a putea fi analizată prezența plăcilor coronariene cu risc, a demonstrat că 94% dintre pacienții ce au documentat plăci vulnerabile nu au experimentat evenimentul coronarian în perioada de urmărire (25 de luni).

În acest context se cristalizează ideea că, stratificarea riscului presupune atât identificarea și caracterizarea structurală a plăcii (cu individualizarea criteriilor de vulnerabilitate), precum și cuantificarea încărcării aterosclerotice a arterelor, distribuția modificărilor aterosclerotice și gradul de stenoză lumenală.

În același timp, studii angiografice în serie și studii de angiografie CT coronariană au arătat că leziunile cu progresie rapidă a gradului de stenoză prezintă risc semnificativ mai mare pentru evenimente coronariene acute viitoare. Prin urmare, gradul de stenoză nu este irelevant și cu toate că placa vulnerabilă neobstructivă identificată la examinarea CT este predictivă pentru evenimente viitoare, leziunile obstructive plurivasculare au o valoare predictivă mai mare.

În al doilea rând, studiile clinice care utilizează rezerva fracțională de flux (FFR), pentru a evalua leziunile coronariene (cum ar fi FAME-2), au arătat că revascularizarea leziunilor cu flux relevant redus reduce evenimentele din aval.

Prin urmare, reducerea fluxului sanguin pare să joace un rol în progresia spre ruptură a placii. De fapt, criteriile morfologice de vulnerabilitate a plăcii de aterom par a fi legate de reducerea fluxului.

Park și colab. au arătat pe un grup de 252 de pacienți că, prezența caracteristicilor plăcii cu risc ridicat la imagistica angio-CT a fost mai predictivă pentru leziuni specifice ischemiei măsurate prin rezerva de flux fracționată invazivă decât gradul de stenoză.

Date suplimentare au fost furnizate de Lee et al., care au comparat 66 de leziuni, la pacienții care au efectuat CCTA și ulterior au dezvoltat sindroame coronariene

acute, cu 150 de leziuni la pacienți fără evenimente. Au investigat volumele plăcilor, morfologia și compoziția acestora (în limita capacităților imagisticii CT), au simulat fluxul coronarian și presiunea la nivelul peretelui vascular constatând faptul că, gradientul presional de la nivelul leziunii aterosclerotice a furnizat cea mai mare cantitate de informații cu privire la riscul de ruptură a plăcii, urmată de efortul de forfecare a peretelui (wall shear stress) și apoi gradul de stenoză. Ca urmare, se conturează substratul multifactorial al evenimentului coronarian acut, în care caracteristicile morfologice de vulnerabilitate a plăcii de aterom acţionează mai degrabă ca markeri indirecți ai riscului, în realitate fiind mediate prin fluxul sanguin local, în special prin gradienții de presiune la care contribuie și gradul de stenoză.

Concluzii

Incidența afectării aterosclerotice a arterelor coronare rămâne ridicată, în ciuda preocupării active pentru prevenția primară și a dezvoltării terapiilor anti-aterosclerotice. Sindromul coronarian acut poate fi prima manifestare a bolii coronariene.

Rafinarea metodelor de stratificare a riscului cardio-vascular devine strategică pentru prevenția evenimentului coronarian, iar coronarografia prin tomografie computerizată are un rol cheie în diagnoza plăcii vulnerabile.

Scorul coronarian de calciu rămâne instrument util în algoritmul de rafinare a riscului, mai ales la indivizi selectați, în primul rând la cei cu risc intermediar, dar persistă incertitudini privind aplicarea optimă a scorului CAC pentru prevenția primară a bolii cardio-vasculare.

Coronarografia CT este recunoscută ca singura metodă imagistică ce întrunește capabilități de evaluare calitativă dar și cantitativă a modificărilor aterosclerotice coronariene, prin capacitatea de a realiza, în același timp, o evaluare a gradului de încărcare aterosclerotică a întregului pat coronarian, o cuantificare a stenozelor coronariene și o caracterizare structurală a placii de aterom.

Totusi, trebuie menționat încă odată, placa vulnerabilă nu echivalează cu pacientul vulnerabil.

Criteriile de stratificare a riscului sunt într-o continuă dinamică, iar odata

cu progresul tehnologiei se conturează o nouă paradigmă, în care parametrii de flux , presiunea și forțele de forfecare de la nivelul peretelui vascular completează și potențează criteriile morfologice și de structură ale plăcii de aterom si gradul de stenoză lumenală în clasificarea riscului de eveniment coronarian acut.

Bibliografie

1. J.C. Brown, T.E. Gerhardt, E. Kwon , Risk factors for coronary artery disease StatPearls. Treasure Island (FL), StatPearls Publishing (Updated August 17, 2023) https://www. ncbi.nlm.nih.gov/books/NBK564304/, Accessed 18th Jan 2024

2. J.K. Min, L.J. Shaw, R.B. Devereux, et al. Prognostic value of multidetector coronary computed tomographic angiography for prediction of all-cause mortality J Am Coll Cardiol, 50 (12) (2007), pp. 1161-1170, JACC.2007.03.067

3. M.C. Williams, J. Kwiecinski, M. Doris, et al.Low-attenuation noncalcified plaque on coronary computed tomography angiography predicts myocardial infarction: results from the multicenter Scot-HEART trial (Scottish computed tomography of the HEART) Circulation, 141 (18) (2020), pp. 1452-1462, 4. M. Ferencik, T. Mayrhofer, D.O. Bittner, et al. Use of high-risk coronary atherosclerotic plaque detection for risk stratification of patients with stable chest pain: a secondary analysis of the PROMISE randomized clinical trial JAMA Cardiol, 3 (2) (2018), pp. 144-152, 5. G. Feuchtner, J. Kerber, P. Burghard, et al. The high-risk criteria low-attenuation plaque <60 HU and the napkin-ring sign are the most powerful predictors of MACE: a long-term follow-up study Eur Heart J Cardiovasc Imaging, 18 (7) (2017), pp. 772-779, 6. P. Rajiah, K.W. Cummings, E. Williamson, P.M. Young CT Fractional flow reserve: a practical guide to application, interpretation, and problem solving Radiographics, 42 (2) (2022), pp. 340-358, 10.1148/rg.210097

7. Committee Members Writing, M. Gulati, P.D. Levy, et al.2021 AHA/ACC/ASE/ CHEST/SAEM/SCCT/SCMR guideline for the evaluation and diagnosis of chest pain: a report of the American College of Cardiology/ American Heart Association joint committee on clinical practice guidelines J Am Coll Cardiol, 78 (22) (2021), pp. e187-e285, 10.1016/j. jacc.2021.07.053

8. Investigators SCOT-HEART, D.E. Newby, P.D. Adamson, et al. Coronary CT angiography and 5-year risk of myocardial infarction N Engl J Med, 379 (10) (2018), pp. 924-933, 10.1056/NEJMoa1805971

9, L.H. Nielsen, H.E. Bøtker, H.T. Sørensen, et al. Prognostic assessment of stable coronary artery disease as determined by coronary computed tomography angiography: a Danish mul-

ticentre cohort study Eur Heart J, 38 (6) (2017), pp. 413-421, 10.1093/eurheartj/ehw548

10. J.K. Min, A. Dunning, F.Y. Lin, et al. Age- and sex-related differences in all-cause mortality risk based on coronary computed tomography angiography findings results from the International Multicenter CONFIRM (Coronary CT Angiography Evaluation for Clinical Outcomes: an International Multicenter Registry) of 23,854 patients without known coronary artery disease J Am Coll Cardiol, 58 (8) (2011), pp. 849-860, 10.1016/j.jacc.2011.02.074

11. T.M. Maddox, M.A. Stanislawski, G.K. Grunwald, et al. Nonobstructive coronary artery disease and risk of myocardial infarction JAMA, 312 (17) (2014), pp. 1754-1763, 10.1001/ jama.2014.14681

12, L.J. Shaw, R. Blankstein, J.J. Bax, et al.Society of Cardiovascular Computed Tomography / North American Society of Cardiovascular Imaging – expert consensus document on coronary CT imaging of atherosclerotic plaque J Cardiovasc Comput Tomogr, 15 (2) (2021), pp. 93-109, 10.1016/j.jcct.2020.11.002

13. T.C. Villines, E.A. Hulten, L.J. Shaw, et al.Prevalence and severity of coronary artery disease and adverse events among symptomatic patients with coronary artery calcification scores of zero undergoing coronary computed tomography angiography: results from the CONFIRM (Coronary CT Angiography Evaluation for Clinical Outcomes: an International Multicenter) registry J Am Coll Cardiol, 58 (24) (2011), pp. 2533-2540, 10.1016/j. jacc.2011.10.851

14. R.C. Cury, J. Leipsic, S. Abbara, et al. CAD-RADS™ 2.0-2022 coronary artery disease-reporting and data system: an expert consensus document of the Society of Cardiovascular Computed Tomography (SCCT), the American College of Cardiology (ACC), the American College of Radiology (ACR), and the North America Society of Cardiovascular Imaging (NASCI) J Cardiovasc Comput Tomogr, 16 (6) (2022), pp. 536-557, 10.1016/j.jcct.2022.07.002

15. D. Andreini, G. Pontone, S. Mushtaq, et al.A long-term prognostic value of coronary CT angiography in suspected coronary artery disease JACC Cardiovasc Imaging, 5 (7) (2012), pp. 690-701, 10.1016/j.jcmg.2012.03.009

16. F.Y. Lin, L.J. Shaw, A.M. Dunning, et al Mortality risk in symptomatic patients with nonobstructive coronary artery disease: a prospective 2-center study of 2,583 patients undergoing 64-detector row coronary computed tomographic angiography J Am Coll Cardiol, 58 (5) (2011), pp. 510-519, 10.1016/j. jacc.2010.11.078

17. M.S. Bittencourt, E. Hulten, B. Ghoshhajra, et al. Prognostic value of nonobstructive and obstructive coronary artery disease detected by coronary computed tomography angiography to identify cardiovascular events Circ Cardiovasc Imaging, 7 (2) (2014), pp. 282-291, 18. M.J. Boogers, A. Broersen, J.E. van Vel-

zen, et al.Automated quantification of coronary plaque with computed tomography: comparison with intravascular ultrasound using a dedicated registration algorithm for fusion-based quantification Eur Heart J, 33 (8) (2012), pp. 1007-1016,

19. D. Han, S. Torii, K. Yahagi, et al. Quantitative measurement of lipid rich plaque by coronary computed tomography angiography: a correlation of histology in sudden cardiac death Atherosclerosis, 275 (2018), pp. 426-433,

20. Y.F. Liu, Y.H. Ma, C.Y. Wang, et al.A comparison of computed tomography imaging with histopathology in the sensitivity and correlation of evaluating coronary arterial calcification Quant Imaging Med Surg, 13 (4) (2023), pp. 2426-2440,

21. S. Fujimoto, T. Kondo, T. Kodama, et al. A novel method for non-invasive plaque morphology analysis by coronary computed tomography angiography Int J Cardiovasc Imaging, 30 (7) (2014),

22. R. Nakazato, H. Otake, A. Konishi, et al.Atherosclerotic plaque characterization by CT angiography for identification of high-risk coronary artery lesions a comparison to optical coherence tomography Eur Heart J Cardiovasc Imaging, 16 (4) (2015), pp. 373-379,

23. H. Seifarth, C.L. Schlett, M. Nakano, et al.Histopathological correlates of the napkin-ring sign plaque in coronary CT angiography Atherosclerosis, 224 (1) (2012), pp. 90 96, 10.1016/j.atherosclerosis.2012.06.021

24. S.E. Lee, J.M. Sung, A. Rizvi, et al.Quantification of coronary atherosclerosis in the assessment of coronary artery disease Circ Cardiovasc Imaging, 11 (7) (2018),

25. M.O. Versteylen, B.L. Kietselaer, P.C. Dagnelie, et al.Additive value of semiautomated quantification of coronary artery disease using cardiac computed tomographic angiography to predict future acute coronary syndrome J Am Coll Cardiol, 61 (22) (2013), pp. 2296-2305,

26. J. Nadjiri, J. Hausleiter, C. Jähnichen, et al.Incremental prognostic value of quantitative plaque assessment in coronary CT angiography during 5 years of follow up J Cardiovasc Comput Tomogr, 10 (2) (2016), pp. 97-104, 10.1016/j. jcct.2016.01.007

27. M.C. de Knegt, J.J. Linde, A. Fuchs, et al.Relationship between patient presentation and morphology of coronary atherosclerosis by quantitative multidetector computed tomography Eur Heart J Cardiovasc Imaging, 20 (11) (2019), pp. 1221-1230,

28. M.H. Criqui, J.O. Denenberg, J.H. Ix, et al.Calcium density of coronary artery plaque and risk of incident cardiovascular events JAMA, 311 (3) (2014), pp. 271-278, 10.1001/ jama.2013.282535

29. A.R. van Rosendael, J. Narula, F.Y. Lin, et al.Association of high-density calcified 1K plaque with risk of acute coronary syndrome J AMA Cardiol, 5 (3) (2020), pp. 282-290,

30. J. Dundas, J. Leipsic, T. Fairbairn, et al.

Interaction of AI-enabled quantitative coronary plaque volumes on coronary CT angiography, FFRCT, and clinical outcomes: a retrospective analysis of the ADVANCE registry Circ Cardiovasc Imaging, 17 (3) (2024),

31 E.S.J. Kröner, J.E. van Velzen, M.J. Boogers, et al.Positive remodeling on coronary computed tomography as a marker for plaque vulnerability on virtual histology intravascular ultrasoundAm J Cardiol, 107 (12) (2011), pp. 1725-1729,

32. Sadako Moyatoma et all, Computed Tomographic Angiography Characteristics of Atherosclerotic Plaques Subsequently Resulting in Acute Coronary Syndrome, Journal off the American College pf Cardiology, Volume 54, Issue 1, 30 June 2009, Pages 49-57

33. S. Achenbach, D. Ropers, U. Hoffmann, et al.Assessment of coronary remodeling in stenotic and nonstenotic coronary atherosclerotic lesions by multidetector spiral computed tomographyJ Am Coll Cardiol, 43 (5) (2004), pp. 842-847, 10.1016/j.jacc.2003.09.053

34. S. Motoyama, T. Kondo, H. Anno, et al. Atherosclerotic plaque characterization by 0.5-mm-slice multislice computed tomographic imaging Circ J, 71 (3) (2007), pp. 363-366, 10.1253/circj.71.363

35 D. Kinoshita, K. Suzuki, E. Usui, et al.High-risk plaques on coronary computed tomography angiographyJ Am Coll Cardiol Imaging, 17 (4) (2024), pp. 382-391, 10.1016/j. jcmg.2023.08.005

36. J.M. Lee, G. Choi, B.K. Koo, et al. Identification of high-risk plaques destined to cause acute coronary syndrome using coronary computed tomographic angiography and computational fluid dynamics JACC Cardiovasc Im aging, 12 (6) (2019), pp. 1032-1043, 10.1016/j. jcmg.2018.01.023

37. G.K. Hansson Inflammation, atherosclerosis, and coronary artery disease N Engl J Med, 352 (16) (2005), pp. 1685-1695, 10.1056/ NEJMra043430 Eur Radiol, 30 (2) (2020), pp. 673-681, 10.1007/s00330-019-06400-8

38. S.-E. Lee, J.M. Sung, D. Andreini, et al. Differences in progression to obstructive lesions per high-risk plaque features and plaque volumes with CCTA JACC Cardiovasc Imaging, 13 (6) (2020), pp. 1409-1417,

39. S.E. Lee, H.J. Chang, A. Rizvi, et al.Rationale and design of the Progression of Atherosclerotic Plaque DetermIned by Computed Tomographic Angiography Imaging (PARADIGM) registry: a comprehensive exploration of plaque progression and its impact on clinical outcomes from a multicenter serial coronary computed tomographic angiography study Am Heart J, 182 (2016), pp. 72-79, 10.1016/j. ahj.2016.09.003

40. Progression of whole-heart atherosclerosis by coronary CT and major adverse cardiovascular events J Cardiovasc Comput Tomogr, 15 (4) (2021), pp. 322-330, 10.1016/j. jcct.2020.12.007

De la suspiciunea de cancer de sân la diagnosticul corect: calcifilaxia mamară și utilitatea teleradiologiei

From suspicion of breast cancer to correct diagnosis: breast calciphylaxis and the utility of teleradiology

Calciphylaxis is a rare and severe complication of chronic kidney disease, characterized by vascular calcifications and tissue necrosis, with a poor prognosis. The breast location is exceptional and can mimic breast cancer, both clinically and imagingly, which creates diagnostic difficulties and can lead to unnecessary treatments. We present the case of a patient with stage V chronic kidney disease, on hemodialysis, who developed breast calciphylaxis. The clinical and imaging implications, differential diagnosis and, in particular, the role of teleradiology in facilitating the correct diagnosis of rare cases are discussed. The integration of teleradiology into clinical practice can contribute to rapid access to expertise, avoiding oncological overdiagnosis and strengthening multidisciplinary decisions.

CInstitutul Clinic Fundeni, București, TDI Radiology

Dr. Mihai Gheorghe Toma

Institutul Clinic Fundeni, București, TDI Radiology

alcifilaxia, cunoscută și sub denumirea de arteriolopatie calcificantă uremică, este o complicație rară și devastatoare a bolii renale cronice (BRC) terminale. Aceasta apare, de obicei, la pacienți aflați în dializă cronică, dar poate fi observată și la pacienți cu transplant renal, sau cu insuficiență renală avansată netratată. Incidența este estimată la 1–4% dintre pacienții dializați, însă rata mortalității este disproporționat de mare, depășind 50% la un an. Cele mai frecvente localizări sunt la nivelul membrelor inferioare, unde se manifestă prin ulcere cutanate dureroase, necroză și risc crescut de infecție. Totuși, localizări atipice precum sânul sunt descrise în literatura de specialitate și au un prognostic și mai rezervat datorită întârzierilor în diagnostic.

Localizarea mamară este deosebit de problematică, deoarece poate fi confundată clinic și imagistic cu cancerul de sân. Această confuzie poate duce la anxietate majoră pentru pacientă și la intervenții inutile sau întârzierea tratamentului adecvat. În România, unde prevalența BRC este în creștere, cu mii de pacienți aflați în programe de dializă, este de așteptat ca astfel de cazuri să apară, deși sunt raportate extrem de rar. Raportarea lor este esențială pentru conștientizarea medicilor și pentru crearea unui cadru diagnostic standardizat.

În plus, sistemul medical românesc se confruntă cu provocări majore legate de accesul inegal la imagistică avansată și la expertiză radiologică specializată. Teleradiologia, prin conectarea centrelor medicale cu specialiști din centre universitare, poate avea un rol crucial în diagnosticul cazurilor rare. Prin transmiterea imaginilor, obținerea rapidă a unor opinii suplimentare și integrarea în tumor board-uri virtuale, teleradiologia reduce riscul de erori și optimizează managementul pacientului.

Prezentare de caz

Pacientă de sex feminin, în vârstă de 62 de ani, cunoscută cu boală renală cronică, stadiul V de etiologie mixtă (nefropatie diabetică și nefroangioscleroză hipertensivă), aflată în program de hemodializă de 4 ani, se prezintă pentru creșterea în volum a sânului stâng, Dintre antecedentele patologice, notăm diabet zaharat tip 2 de 15 ani, cu complicații micro si macrovasculare (cu amputație 1/3 inferioară a coapsei stângi), hipertensiune arterială severă (TAS maximă 280mmHg), dislipidemie, hiperparatiroi-

dism, antecedente de TEP segmentar. Pacienta a avut multiple complicații ale abordului de hemodializă (fistule arteriovenoase ineficiente, multiple catetere tunelizate cu abord jugular bilateral ineficiente, cu tromboza trunchiului brahiocefalic stâng, în tratament anticoagulant cu Warfarină).

La examenul clinic se decelază sân stâng cu dimensiuni mărite, dureros la palpare, cu semne de inflamație locală (căldură locală, discret eritem), tegumente cu aspect de coajă de portocală cu caracter extensiv și zone ulcerative superficiale, însă fără adenopatii axilare stângi palpabile. Suspiciunea clinică inițială este de mastită carcinomatoasă.

Se efectuează mamografie, de calitate suboptimală din cauza comprimării insuficiente a țesutului mamar. Rezultatul mamografiei este neconcludent, cu modificări incerte la nivelul sânului stâng și calcificări vasculare extensive bilaterale. Aspectul mamografic nu exclude diagnosticul de carcinom mamar inflamator, cu indicație de suplimentare prin IRM mamar.

La examinarea de tip IRM mamar, nu se evidențiază prize de contrast de tip masă, spiculiforme cu caracter suspect, însă se vizualizează noduli de citosteatonecroză bilaterali (leziuni lobulate, având centrul cu semnal similar grăsimii în toate secvențele, gadolinofilie periferică neregulată – figura 1, cerc roșu), mai numeroși de partea stângă, glandă mamară stângă cu dimensiuni mult crescute, modificări edematoase difuze și îngroșare tegumentară difuză (figura 2). Nodulii de citosteatonecroză, fără mase suspecte sau adenopatii axilare decelabile IRM, ridică suspiciunea de calcifilaxie.

Dr. Miruna Elena Ispas
Institutul Clinic Fundeni, București, TDI Radiology
Dr. Radu Lucian Dumitru

Figura 1 și Figura 2

Diagnosticul este susținut și de identificarea unui angio-CT efectuat în urmă cu 6 luni, care evidențiază aceeași infiltrare edematoasă a sânului stâng (figura 3, steluța albastră), dar și probabila cauză, tromboză de trunchi venos brahiocefalic stâng și venă subclavie stângă (figura 3, sageată galbenă), secundare cateterismului pentru hemodializă, multiple colaterale venoase dezvoltate la nivel parietal toracic stâng.

Figura 3

De menționat că, deși pacienta a fost investigată într-un spital universitar cu profil nefrologic, interpretarea imagistică a fost realizată printr-o platformă de teleradiologie, ceea ce a permis accesul rapid la expertiză dedicată imagisticii mamare.

Diagnosticul final al calcifilaxiei este histopatologic, unde nu se identifică elemente de malignitate, însă se evidentiază calcificări vasculare intramurale focale, asociate cu modificări fibrinoide, trombi fibrinoși, citosteatonecroză și calcificări stromale distrofice focale.

Tratamentul calcifilaxiei în acest caz este complex, necesitând o echipă multidisciplinară ce urmărește optimizarea controlului fosfo-calcific, tratarea hiperparatiroidismului, controlul obezității și diabetului, precum și găsirea unei alternative la Warfarină, ce reprezintă un factor de risc al calcifilaxiei, dar și îngrijirea locală a leziunilor cutanate.

Principala provocare este suportul funcției renale prin montarea unui caterer long life de hemodializă, având în vedere antecedentele trombotice ale pacientei.

Discuție

Calcifilaxia, cunoscută și ca arteriolopatie calcifiantă uremică, este o afecțiune rară, caracterizată prin microcalcificări și obstrucția vaselor mici dermice și subcutanate, ducând la necroză cutanată și a țesuturilor moi. Este întâlnită mai ales la pacienți cu boală renală cronică în stadiu terminal (ESRD) și hiperparatiroidism secundar, mai ales sub dializă iar tratamentul cu warfarină reprezintă un factor de risc.

Mamografia inițială poate fi normală, ulterior evidențiind calcificări arteriale extinse și microcalcificări dispersate, uneori distorsiuni arhitecturale, iar ecografia poate indica leziuni de citosteatonecroză, cu aspecte ultrasonografice variate. Deși

examinarea IRM nu este patognomonică, poate evidenția modificări de citosteatonecroză, edem mamar și subcutanat difuz, fără pattern tipic de malignitate al prizelor de contrast. Histologia arată trombi, calcificări murale, proliferare fibroblastică intimă și obliterarea vaselor. Deși biopsia este de obicei recomandată, ea poate fi riscantă în BRC din cauza vindecării deficitare și riscului de infecție; unii autori consideră că mamografia și ecografia pot fi suficiente în cazuri tipice. Diagnosticul diferențial include: citosteatonecroză, flegmon/abces, necroză cutanată indusă de warfarină, vasculite, boală Paget și carcinom mamar inflamator.

Rolul teleradiologiei este esențial în astfel de cazuri rare. În centrele fără radiologi specializați în imagistica sânului, transmiterea imaginilor către experți din centre dedicate, permite obținerea rapidă a unei second opinion, reducând riscul unei interpretări eronate. Prin teleradiologie se pot integra rezultatele multimodale: mamografie, ecografie și RMN (în cazul nostru) și examinare CT (într-o platformă unică, accesibilă la distanță). Astfel, diagnosticul diferențial devine mai rapid și mai sigur.

Mai mult, teleradiologia facilitează participarea la tumor board-uri virtuale, unde cazurile complexe sunt discutate interdisciplinar. În cazul pacientei prezentate, integrarea într-un tumor board virtual ar fi permis validarea diagnosticului și excluderea cancerului mamar fără întârzieri majore. Această abordare este crucială în România, unde disparitățile geografice limitează accesul la expertiză. În plus, teleradiologia poate susține crearea unui registru național digital pentru cazuri rare, unde imagini și date clinice pot fi colectate și analizate, sprijinind instruirea radiologilor și dezvoltarea algoritmilor de inteligență artificială pentru recunoașterea pattern-urilor atipice.

Concluzie

Calcifilaxia mamară este o entitate rară și potențial letală, dar cu implicații clinico-imagistice majore. Confundarea cu cancerul de sân este frecventă și poate duce la investigații inutile și întârzieri în tratamentul adecvat. În cazul de față, coexistența edemului mamar stâng secundar, trombozei venoase de trunchi brahiocefalic stâng și venă subclavie, au complicat chiar și mult datele problemei.

Teleradiologia oferă un cadru modern

și eficient pentru diagnosticarea corectă a cazurilor rare. Prin acces rapid la expertiză, corelare multimodală, participare la tumor board-uri virtuale și dezvoltarea unor baze de date naționale, teleradiologia are potențialul de a reduce erorile și de a îmbunătăți calitatea actului medical. Raportarea cazurilor rare, precum calcifilaxia mamară, contribuie nu doar la literatura de specialitate, ci și la consolidarea rețelelor de colaborare digitală între centrele medicale. În România, extinderea teleradiologiei poate reprezenta o soluție strategică pentru reducerea inegalităților și creșterea standardului de îngrijire.

Referințe

• Nigwekar SU, Thadhani R, Brandenburg VM. (2018). Calciphylaxis. New England Journal of Medicine, 378(18), 1704–1714.

• Fine A, Zacharias J. (2002). Calciphylaxis is usually non-ulcerating: risk factors, outcome and therapy. Kidney International, 61(6), 2210–2217.

• Rhee CM, Kalantar-Zadeh K. (2016). Calciphylaxis: rare but deadly. Journal of the American Society of Nephrology, 27(11), 3411–3413.

• Alikhan M, et al. (2008). Calciphylaxis: a rare but fatal disease. Journal of the American Academy of Dermatology, 58(3), 458–471.

• Mazhar AR, et al. (2001). Risk factors and mortality associated with calciphylaxis in end-stage renal disease. Kidney International, 60(1), 324–332.

• Hayashi M, Takamatsu I, Kanno Y, et al. (2013). A case-control study of calciphylaxis in Japanese end-stage renal disease patients. Nephrol Dial Transplant, 28(5), 1232–1240.

• Zucchelli A, et al. (2020). Calciphylaxis of the breast: case report and literature review. Breast J, 26(9), 1849–1852.

• Weenig RH. (2008). Pathogenesis of calciphylaxis: Hans Selye to nuclear factor kappa-B. J Am Acad Dermatol, 58(3), 458–471.

• European Society of Radiology (ESR). (2021). ESR white paper on teleradiology: update 2021. Insights into Imaging, 12(1), 136.

• European Society of Breast Imaging (EUSOBI). (2022). EUSOBI recommendations for breast imaging and screening. European Radiology, 32(7), 4501–4512.

VISION V

Design Flexibil pentru Rezultate Optime

Echipamente medicale radiologice digitale fixe şi mobile Sisteme de digitalizare şi consumabile radiologice Service şi asistență tehnică de specialitate

• Sistem modular cu raze X cu configurație standard (suport de tub montat pe podea, suport bucky vertical și masă bucky)

• Design conceput pentru o gamă largă de servicii de imagistică radiografică generală și specializată în configurații standard, numai toracic, numai masă sau cameră de urgență (masă mobilă)

• Pentru eficiență, consola de sistem permite setarea de la distanță a generatorului, colimatorului și listei de lucru

Performanță Ridicată la un Preț Corect

• Gamă extinsă de fluxuri de lucru, siguranță avansată și funcții de poziționare • Urmărire motorizată a detectorului vertical și orizontal • Camere AEC cu 5 câmpuri • Comenzi de colimare motorizate pe suportul vertical • Partajare ușoară a detectoarelor cu camera mobilă sau alte camere DR • Reglare automată a expunerii cu SID și grilă (care pot fi modificate) • Configurații detector flexibil: fix, portabil, wireless

Modul Stitching pentru Imagini Anatomice Lungi

• Vizualizare imagini anatomice lungi ce permit măsurători mult mai mari decât aria activă a detectorului cu panou plat • Posibilitate obținere imagine completă coloană vertebrală din 3 expuneri • Stitching motorizat de până la 4 imagini (150 cm de acoperire a pacientului)

GCC – Partener exclusiv autorizat LANMAGE pentru Grafie Digitală Mobilă în România și Republica Moldova

AKSO PREMIUM

Suplu & Uşor Manevrabil

• Dimensiunile cele mai reduse de pe piață (l 54 cm, h 135 cm), pentru poziționare flexibilă și vizibilitate optimă

• Amplificarea electrică a mișcării, pentru deplasarea ușoară a unității cu o singură mână

• Tub cu design special, pentru manevrabilitate maximă, rotirea sistemului și accesul în orice poziție

• Deblocare cu o singură mână și o singură cheie, pentru funcționare simultană pe 5 axe, acoperire completă de 360° și suspendare la înălțimea dorită • Înclinare maximă la 12°

Robust & Autonom

• Cu alimentare de la rețea sau de la bateria încorporată (1 an timp de stocare a energiei)

• Baterie cu mod super-fast charge de 3 ore • Autonomie 100 km

• Minim 1200 expuneri la fiecare încărcare a bateriei (radiografie standard torace adult)

Inteligent & Versatil

• Transmisie date wireless 5G • 4 moduri de expunere cu control manual, prin telecomandă, cu temporizator sau de la consolă • Control de până la maxim 15 m fără obstrucționarea semnalului prin pereți • Frână automată la detectarea unui obstacol iminent • Opțional, suport pentru radiografie toracică și pat mobil imagini • DAP system

GCC – Partener exclusiv autorizat SWISSRAY pentru Service și Distribuție în România și Republica Moldova

Mentenanță optimă pentru echipamente radiologice de înaltă clasă Asigurăm servicii specializate și autorizate de reparații, mentenanță, intervenții la cerere și întreținere preventivă pentru sistemele radiologice SWISSRAY instalate în orice unitate medicală din România sau Republica Moldova.

Concepute cu precizie, servisate cu mare grijă Înțelegem importanța funcționării optime a echipamentelor SWISSRAY care sunt esențiale pentru siguranța pacienților și a utilizatorilor. O întreținere regulată și profesionistă este crucială pentru a asigura rezultate radiologice precise și un diagnostic corect.

Când pacientul este pe primul loc, Timpul Contează Echipa noastră de experți garantează răspuns prompt și soluționare rapidă oriunde în România sau Republica Moldova, folosind piese originale și tehnici avansate, astfel încât echipamentele dumneavoastră radiologice SWISSRAY să funcționeze la parametri maximi în mod continuu.

Alegându-ne pe noi, alegeți siguranța, eficiența şi excelența în domeniul radiologiei Noi ne focalizăm experiența pe funcționarea optimă a echipamentelor radiologice SWISSRAY, pentru ca dumneavoastră să vă puteți focaliza expertiza pe ceea ce contează cel mai mult – sănătatea pacientului.

GREENBERG & COHEN CONSULT: www.greenberg.ro Str. Giuseppe Garibaldi nr. 8-10, Bucureşti, Telefon 021-4116063, Email office@greenberg.ro

Turn static files into dynamic content formats.

Create a flipbook
Issuu converts static files into: digital portfolios, online yearbooks, online catalogs, digital photo albums and more. Sign up and create your flipbook.