Revista Oftalmonews julio-agosto 2024

Page 1


Estimados lectores,

Este número 48 de Oftalmonews acompaña nuevamente a FacoeXtrema , el Congreso oftalmológico que año tras año se supera a sí mismo ya que ha sido declarado Evento de Interés de la Ciudad de Buenos Aires por el Poder Ejecutivo Nacional. Esta edición, que contará con más de 130 speakers extranjeros, presentará las habituales cirugías en vivo y en 3D, además de su exposición comercial y su clásico cierre con bandas musicales y el sorteo del auto 0 Km .

Nuestro contenido científico está compuesto por artículos sobre Cataratas, Neurorretinitis por Bartonella, White-eyed blowout y Neuromielitis óptica. Agradecemos a los destacados médicos oftalmólogos que nos envían gentilmente su material.

En nuestra sección Eventos del Exterior , el Dr. Ticiano Giobellina nos brinda un resumen de lo que fue el BRASCRS 2024 y en Óptica y oftalmología contamos con un artículo sobre Ritmo circadiano y bloqueadores de luz azul.

Destacamos en la sección Empresas el festejo por el 40ª aniversario de OMNI SRL, anunciante que nos acompaña desde nuestros comienzos, allá por el año 2007.

Les recordamos que pueden seguirnos en nuestro Instagram @oftalmo.news que ya ha superado los cuatro mil seguidores específicos y en el que encontrarán novedades del ámbito oftalmológico nacional.

Nos despedimos deseando que FacoeXtrema 2024 tenga el éxito al que ya nos tiene acostumbrados y comenzamos a palpitar OftalmoCórdoba que este año también se viene con todo.

Hasta el próximo número de septiembre!

Las editoras

OftalmoNoticias

Distribuidor Oficial de Johnson & Johnson en Argentina.

Biomat Instrumental anuncia el lanzamiento de su nuevo Lente Intraocular de Cámara Posterior T ECNIS PureSee EDOF , puramente refractivo de la plataforma TECNIS™ con tecnología de potencia continua. Diseñada para ofrecer una visión pura y predecible de alta calidad con mínimos fenómenos fóticos. La LIOTECNIS PureSee es una nueva generación de EDOF , con PURA CALIDAD DE VISION

La LIO TECNIS PureSee™ se basa en una tecnología refractiva propia que permite cambios continuos de potencia con un diseño refractivo modificado en la óptica posterior.

La óptica asférica anterior está diseñada para compensar las aberraciones esféricas de la córnea, equivalente a cualquier LIO TECNIS™. 1

La LIO TECNIS PureSee™ distribuye la luz de lejos a cerca con un perfil de disfotopsia similar a una monofocal.

LANZAMIENTO en FACOEXTREMA 2024. Visítelos en su stand.

Para mayor información 11-49271242

¹TECNIS PureSeeTM IOL with TECNIS SimplicityTM Delivery System, Model DEN00V — DFU INT — Z311782, current revision.

Solución oftalmológica para la higiene de párpados y pestañas.

Este producto está orientado a la limpieza diaria de párpados y pestañas ya que pueden presentar descamaciones o encontrarse irritados por mucosidades o restos de maquillaje. También es útil como coadyuvante en el tratamiento de conjuntivitis, blefaritis seborreica y toda patologia con secreción mucopurulenta o purulenta. Otros usos incluyen la higiene pre y posquirúrgica domiciliaria y a los usuarios de lentes de contacto.

Su modo de empleo es muy simple:

1 . Previo al uso, higienizar adecuadamente las manos y puntas de los dedos.

2 . Oprima la válvula y deposite la espuma sobre una gasa estéril.

3. Cierre el ojo y frote suavemente la gasa en la base de las pestañas y sobre el párpado. No abra el ojo ni lo toque con el producto.

4 . Enjuague con agua limpia el área y seque sin frotar. Deseche la gasa utilizada.

5 . Repita este procedimiento en el otro ojo, utilizando siempre una gasa nueva.

6 . Utilice el producto 2 a 3 veces por día.

Un nuevo año para

Muchos consideramos a este año muy especial, ya que tenemos el enorme orgullo de que FacoeXtrema ha sido declarado por el Poder Legislativo, evento de interés de la Ciudad de Buenos Aires. El año pasado hicimos una mención al crecimiento de los últimos años, haciendo hincapié en nuestros comienzos, allá por el 2011 en Berazategui, donde éramos 60 asistentes.

En la última edición 2023, contamos con 3987 asistentes presenciales, entre colegas nacionales y extranjeros,  en conjunto con más de 10 000 colegas, atentos al día a día del evento de manera online en la plataforma virtual.

FacoeXtrema comenzó como un curso de cirujanos de segmento anterior,  que a través del tiempo, supo ir incorporando subespecialidades como retina, glaucoma, córnea, pediatría, visión baja, neuroftalmologia, uveítis, superficie ocular y oculoplastia.

Seguimos teniendo el orgullo de organizar este curso junto con amigos que nos ha dado la oftalmología y aprender junto a los más grandes de todas partes del mundo.

Al igual que en la edición pasada, este año continuaremos con los dos formatos: virtual y presencial; dejando las puer tas abiertas a todos los que quieran participar, no solo argentinos, sino de todas partes del mundo.

Este año contaremos con un día dedicado especialmente a los jóvenes, para que ellos mismos se luzcan ante todos, demostrando que ellos son los futuros líderes del mañana. A su vez contaremos con un módulo especifico del CAO (Consejo Argentino de Oftalmología).

Nos enorgullece contarles que tendremos la presencia de más de 100 speakers extranjeros interactuando en los distintas subespecialidades, mostrándonos cirugías en vivo, ca sos, complicaciones y sus experiencias. Para el caso de catarata contaremos con la presencia de cirugías en vivo de jóvenes el día jueves 22, varios cursos de manejo de complica -

ciones, cirugías premium, y las míticas cirugías en vivo.  Retina sumará cirugías en 3D y cirugias en vivo, glaucoma, plástica, superficie, córnea y demás tendrán una fuerte interacción con los Wet lab , en donde aumentaremos los cupos, sumaremos nuevos instructores, tanto nacionales como extranjeros,  debido a la gran demanda que obtuvimos el año anterior, manteniendo las especialidades y sumando nuevos desafíos: Trasplante de córnea, membrana amniótica, glaucoma con Migs, válvulas, IPCL, anillos intrac orneales, pediatria, LASIK, sutura de lente al iris y mucho más. Tendremos también nuestro clásico Sorteo del automóvil 0km , y el cierre con bandas en vivo y Dj.  Como siempre decimos, a FacoeXtrema lo hacemos entre todos, y año a año lo demostramos más. El crecimiento del curso se debe a la gran unión que hay dentro del gran equipo de trabajo que formamos, donde cada vez somos más, aportando ideas y desafios para intentar seguir innovando. Obviamente que esto no será posible sin los asistentes, y una mención especial para los sponsors que confían año a año en nosotros redoblando la apuesta: contamos con más de 3000m 2 destinados a Exposición Comercial mostrándonos todo lo nuevo de los avances relacionados con la industria.

El fin de FacoeXtrema es demostrar que juntos es más facil aprender y difundir el conocimiento basándonos en la experiencia  para así poder llegar a todos los oftalmólogos, especialmente de habla hispana.  Nuestra plataforma facoextrema.com.ar es abierta y gratuita para que todos puedan acceder o enviarnos contenido para seguir creciendo juntos.  Creemos profundamente en el pod erío que tiene la oftalmología latinoamericana y es por ello que queremos que FacoeXtrema sea un evento latinoamericano.

Los esperamos este año para una nueva edición el 22, 23 y 24 de agosto en el Centro de Convenciones de Buenos Aires.

Y vos, te lo vas a perder?

Dr. Lucas Aguirre

por el Dr. Ticiano Giobellina.

Del 22 al 25 de mayo pasado se llevó a cabo en la Ciudad de Río de Janeiro, Brasil, el Congreso de la Asociación Brasilera de Catarata y Cirugía Refractiva, más conocido mundialmente como BRASCRS. El mismo se celebró en el Riocentro Convention & Event Center de esta imponente ciudad brasilera. El evento reunió a expertos de todo el mundo para discutir los avances en el campo de la Catarata y Cirugía Refractiva.

Como todos los años, este mega evento -que es considerado uno de los más concurridos congresos de la especialidad- nos deslumbró por su organización, camaradería y gran nivel científico. Trabajos libres, posters, fotografías científicas, concurso de videos y presentaciones dictadas por disertantes de todos los continentes y de todo Brasil fueron realmente lo que le dió el gran brillo a este evento.

Entre las presentaciones se destacaron las de lentes intraoculares y nuevos tratamientos de presbicia, también las últimas novedades en el campo de la cirugía refractiva donde los colegas brasileños están a la vanguardia a nivel mundial. El día previo al comienzo del Congreso se desarrolló el Congreso Brasileño de Córnea al que concurrieron los más desta-

cados corneólogos y donde pudimos debatir los últimos tratamiento médicos y quirúrgicos en trasplantes de córnea.

La exposición comercial, una de las más grandes en su tipo, se caracterizó por los grandes stands de toda la industria que apoyó masivamente este congreso.

También el evento se destacó en materia social ya que se organizaron múltiples cenas con profesores e industria, destacando la cena de profesores que fue organizada en un pintoresco salón de eventos a orilla del mar donde pudimos contactarnos con grandes referentes de la oftalmología mundial y debatir en un ambiente relajado sobre problemáticas comunes y nuevas tendencias de la oftalmología moderna.

Realmente aconsejo mucho concurrir a este congreso ya que su nivel académico es de lo mejor a nivel mundial y está organizado por esta Sociedad que día a día crece y se dedica a la educación continua para todos los oftalmólogos.

El 2025 se celebrará en la Ciudad de San Pablo, del 28 al 31 de mayo en Transamerica Expo Center. Los invito a reservarse esas fechas para asistir y disfrutar de este hermoso congreso.

Capsulorrexis posterior tras rotura de la cápsula posterior

Autores: Dr. Agustín Magnetto. Fundación Zambrano - Hospital Lagleyze. y Dr. Tomás Jaeschke. Instituto de la Visión - Hospital Lagleyze.

La rotura de cápsula posterior (RCP) es una de las complicaciones más frecuentes en la cirugía de facoemulsificación con reportes entre 0,5% y 5,2%. La prevalencia de la misma disminuye notablemente si se tienen los reparos necesarios para su preservación, principalmente en la técnica de facoemulsificación y los parámetros utilizados en el equipo. La estabilidad de la cámara anterior en los últimos fragmentos es clave para la seguridad siendo los principales factores el vacío máximo programado en el equipo con el consecuente surge tras la desoclusión de la punta (Imagen 1) , la pérdida incisional de líquido y la tecnología compensatoria que nos pueda ofrecer cada equipo.

Aún teniendo todos estos factores en cuenta podemos encontrarnos con la complicación y debemos estar preparados para resolver la situación sin sumar otras complicaciones intra y postquirúrgicas.

Si nuestra intención es colocar una lente, ya sea en el sulcus o en el saco capsular, es vital la estabilidad de la rotura. Si ésta se agranda irregularmente perderemos soporte para la lente y tendremos mayor riesgo de propaso vítreo, tanto por el área de la apertura como por el posible compromiso de la hialoides anterior.

Una de las maniobras que nos ayudan a contener una RCP es la capsulorrexis posterior (Imagen 2)

Imagen 1.
Imagen 2.

Capsulorrexis posterior tras rotura de la cápsula posterior.

El concepto principal a destacar a la hora de justificar esta maniobra es lograr la continuidad del borde de la capsulorrexis. Como bien sabemos por tratar con la cápsula anterior en cada cirugía de catarata convencional, la pérdida de la continuidad en la “rexis” es factor fundamental para que tengamos una “fuga”, es decir una extension radial en la apertura de la cápsula. Este concepto aplica de la misma manera a la cápsula posterior. Por lo cual, cuando tenemos una solución de continuidad en la cápsula posterior, cualquier maniobra que realicemos puede aumentar su tamaño. Desde la colocación de viscoelástico, vitrectomía anterior, colocación de la lente, hasta disbalances de presión entre el segmento anterior y segmento posterior.

Existen RCP que son evidentemente irregulares y con bordes discontinuos, pero también nos podemos encontrar con una apertura aparentemente circular (Imagen 3) , sobre todo cuando la rotura sucedió con súbitos colapsos en la cámara anterior y la cápsula entra en contacto brevemente con el tip del faco o de la bomba de aspiración. Incluso en esta situación no nos debemos fiar de la continuidad, ya que puede haber microdesgarros en el borde que extiendan la apertura en las maniobras subsiguientes.

Si diagnosticamos la RCP a tiempo y logramos realizar las maniobras para evitar el prolapso vítreo, podemos proceder a realizar la capsulorrexis.

El primer paso es colocar viscoelástico a la altura de la rotura para alejar la hialoides anterior, que en el mejor de los casos estará intacta, y el viscoelástico se ubicará uniformemente en el espacio de Berger. (imagen 4)

Una vez que tenemos compartimentalizado el segmento anterior procedemos a tomar un cistitomo o una microtijera y generar un corte sobre uno de los bordes de la apertura. (Imagen 5)

Imagen 3.
Imagen 4.
Imagen 5.

SEGMENTO

Capsulorrexis posterior tras rotura de la cápsula posterior.

Luego, con una pinza de capsulorrexis curva o una micropinza tomaremos el flap y comenzaremos con las maniobras. Debemos tener en cuenta que la cápsula posterior es elástica, similar a la cápsula anterior de pacientes jovenes, por lo cual debemos realizar una maniobra de ripping con direccionamiento centrípeto. ( imagen 6)

Una vez que generamos una apertura circular y continua, colocaremos viscoelástico nuevamente y procederemos a realizar vitrectomía anterior de ser necesario. En este caso con menor posibilidad de extension del desgarro por la estabilidad que nos brinda la regularidad de la apertura.

Una capsulorrexis posterior continua nos habilita a colocar una lente en el saco capsular. La cual podremos colocarla en el sulcus y luego luxarla al saco capsular, o inyectar la primera háptica directamente en el saco para luego colocar la segunda háptica con maniobras rotatorias, siendo esta una maniobra más arriesgada. Corregir la continuidad de una RCP nos permite incluso colocar una lente tórica monopieza en el saco en caso que tengamos esta complicación. (Imagen 7)

En caso de que la apertura tenga un mayor tamaño y exista la posibilidad de colocar una lente de tres piezas, podemos colocar la misma en el sulcus. En este caso, una maniobra adecuada para lograr mayor estabilidad del implante, predictibilidad refractiva y una mayor compartimentalización entre segmento anterior y segmento posterior es la captura óptica. (Imagen 8)

Esta captura puede realizarse en la cápsula anterior o incluso en la c á p s u l a p o s t e r i o r. (Imagen 9)

8.

Imagen 7.
Imagen 6.
Imagen

Capsulorrexis posterior tras rotura de la cápsula posterior.

En conclusión, en caso de tener una RCP, estabilizar la rotura con una capsulorrexis circular continua posterior nos dará mayor seguridad a la hora de realizar los pasos subsiguientes y nos permitirá colocar una lente en el saco capsular, especialmente en caso de que el implante planeado sea monopieza.

Referencias bibliográficas:

1. Liu YC, Wilkins M, Kim T, Malyugin B, Mehta JS. Cataracts. Lancet. 2017 Aug 5;390(10094):600-612. doi: 10.1016/S0140-6736(17)30544-5. Epub 2017 Feb 25. PMID: 28242111.

2. Nordlund, Michael L. MD, PhD*†; Marques, Daniela M.V. MD‡; Marques, Frederico F. MD‡; Cionni, Robert J. MD*; Osher, Robert H. MD*. Techniques for managing common complications of cataract surgery. Current Opinion in Ophthalmology 14(1):p 7-19, February 2003.

3. Gimbel HV, Sun R, Ferensowicz M, Anderson Penno E, Kamal A. Intraoperative management of posterior capsule tears in phacoemulsification and intraocular lens implantation. Ophthalmology. 2001 Dec;108(12):2186-9; discussion 2190-2. doi: 10.1016/s0161-6420(01)00716-3. PMID: 11733256.

Imagen 9.

Neurorretinitis bilateral por Bartonella Henselae en adolescente inmunocompetente

Autores: Dra. Nataly Iriarte Araníbar, Dra. Alba Victoria Pezz, Dra. Ivanna Agustina Lavagna, Dra. Diana Carolina Palacio Olivares y Dr. Pablo Braian Ramírez, Pamela Rosalez (Asesor científico).

RESUMEN

Introducción

La enfermedad por arañazo de gato (EAG) es producida por Bartonella henselae . Se transmite a los humanos a través del contacto con gatos infectados. Raramente tiene manifestaciones atípicas como la neurorretinitis, que suele presentarse como disminución unilateral e indolora de la agudeza visual (AV). La presencia de exudado macular en forma de estrella es característico y sugestivo de dicha infección. Objetivo: El propósito de este trabajo fue presentar un cuadro de neurorretinitis bilateral en una paciente de 18 años, de la provincia de Buenos Aires.

Objetivo

El propósito de este trabajo fue presentar un cuadro de neurorretinitis bilateral en una paciente de 18 años, de la provincia de Buenos Aires.

Presentación del caso

Paciente femenina de 18 años, previamente sana, que consultó al servicio de Oftalmología de la clínica de ojos “Dr. Nano” por disminución de la AV en ojo derecho (OD) de 24 hrs. de progresión. Asimismo, refirió un episodio febril de dos días de evolución, infección

del tracto urinario y menciono el contacto con gatos. Al examen oftalmológico se constató disminución de la AV en ambos ojos (AO), focos de retinitis en polo posterior y edema macular en OD. El seguimiento oftalmológico reveló serología positiva para Bartonella henselae, y la aparición de la lesión característica de “estrella macular” permitió arribar al diagnóstico de neurorretinitis bilateral por Bartonella henselae . Se instauró tratamiento con antimicrobianos y corticoides, la paciente evolucionó favorablemente.

Conclusión

El diagnóstico de neurorretinitis asociada a Bartonella henselae se basa en los antecedentes epidemiológicos de contacto con el animal y manifestaciones clínicas compatibles con la enfermedad. Los niveles elevados de anticuerpos inmunoglobulina G (IgG) e inmunoglobulina M (IgM) contra el agente etiológico en inmunofluorescencia indirecta permiten el diagnóstico de la enfermedad.

Palabras claves

Neuroretinitis bilateral, Bartonella Henselae, Inmunocompetente, Edema de papila, Reporte de un caso.

Clinica de Ojos Dr. Nano. San Miguel. Buenos Aires. Argentina.

Neurorretinitis bilateral por Bartonella Henselae en adolescente inmunocompetente.

INTRODUCCIÓN

La EAG, es una enfermedad infecciosa causada por Bartonella henselae, bacilo gram negativo fastidioso 1 . Generalmente ocurre en individuos jóvenes menores de 20 años e inmunocompetentes y rara vez causa enfermedad grave 2

La principal vía de transmisión es por gatos, principalmente recién nacidos y menores de un año, a través de la inoculación cutánea por rasguños o mordeduras. Los perros también constituyen su reservorio y no existen datos de transmisión interhumana 3

La manifestación más frecuente de esta enfermedad corresponde a la aparición de una pápula en la zona de inoculación de la bacteria, asociada a adenopatías o linfadenitis regional y fiebre 4-5 . Existen formas atípicas de

CASO CLÍNICO

Paciente femenina de 18 años de edad, previamente sana, consultó al servicio de Oftalmología de la clínica de ojos “Dr. Nano”, por disminución de la AV en OD cuya progresión fue de 24 hrs. En su anamnesis, la paciente destacó que padeció un cuadro febril de dos días de evolución, e infección del tracto urinario. Además, se encontraba cursando el segundo día de tratamiento con Ciprofloxacina 500 mg cada 12 hrs por siete días. Dentro de los antecedentes epidemiológicos mencionó el contacto con felinos.

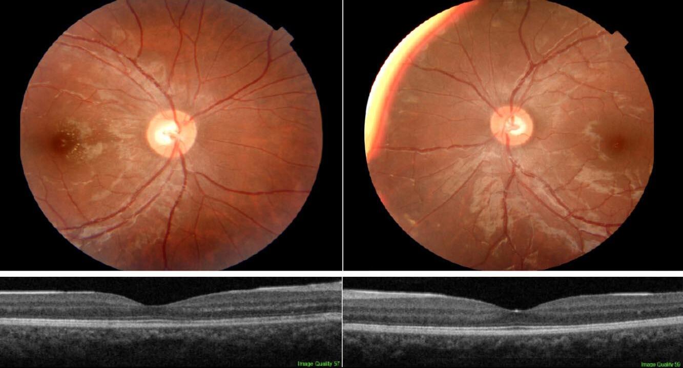
Al examen oftalmológico de ingreso, presentaba AV mejor corregida 8/10 en OD y 8,5/10 en OI, la presión intraocular fue 13 mmHg en OD y 12 mmHg en OI. La biomicroscopía no mostró particularidades, la visión cromática fue normal, reflejos pupilares presentes. Al fondo de ojos (FO) se evidenció focos inflamatorios distribuidos en polo posterior y periferia (Fig. 1A y 1B), asimismo en OD se observó papila de bordes borrosos (Fig. 1A). La tomografía de coherencia óptica (OCT) macular (Fig. 2A y 2B) y papilar (Fig. 3A y 3B), confirmó focos de retinitis en polo posterior y edema macular en OD. En OCT papilar de OD se examinó el edema del disco óptico, AO se identificó la capa de fibras nerviosas (CFN) aumentadas en todos los cuadrantes (Fig. 3A y 3B). En el estudio de imagen, se apreció la formación de una estrella macular en OD, hallazgo fue compatible

presentación, entre ellas manifestaciones oculares (510% de pacientes con EAG) que se presentan principalmente de 3 formas: retino-coroiditis focal, síndrome de Parinaud y neurorretinitis 6

La Neurorretinitis, se caracteriza por disminución o pérdida aguda uni o bilateral de la visión, asociada a defecto pupilar aferente, alteración del campo visual y edema de papila, con extensión al área peripapilar y macular 7

Presentamos el caso de una paciente joven sin antecedentes relevantes, con signos compatibles con neurorretinitis de aparición bilateral, asociada a la enfermedad por EAG con respuesta óptima al tratamiento farmacológico con antibióticos y corticosteroides.

con neuroretinitis (Fig. 4A), mientras que el OI no presentó alteraciones.

Ante la sospecha de neurorretinitis bilateral, se solicitó pruebas complementarias: exámenes de laboratorio completos que incluían serología para Bartonella henselae. Se derivó al servicio de Neurología, en donde se descartó el compromiso del sistema nervioso central. El resultado del examen de orina confirmó la infección del tracto urinario. La resonancia magnética nuclear (RMN) planteó la posibilidad de un proceso inflamatorio/infeccioso.

En una nueva consulta, se comprobó mayor disminución de AV en OD; AV mejor corregida 5/10 en OD, en OI fue 8.5/10. Sin embargo, a las 48 horas; se constató una AV mejor corregida de 2,5/10 en OD, y 9,5/10 en OI. Se decidió continuar con el tratamiento inicial (Ciprofloxacina 500 mg cada 12 hrs) hasta completar los 7 días y se realizó interconsulta con el servicio de Infectología para complement ar la medicación. A los 6 días de la consulta inicial, se ajustó el tratamiento con Meprednisona VO 40 mg/día durante 30 días con reducción gradual, Doxiciclina 100 mg cada 12 hrs. y Azitromicina 500 mg por día; al obtener IgG e IgM positivos para Bartonella henselae, mediante Inmunofluorescencia Indirecta.

Neurorretinitis bilateral por Bartonella Henselae en adolescente inmunocompetente.

La paciente fue estudiada por tercera vez en nuestro centro pasados los 7 días de la nueva indicación, la evolución fue favorable: presentó AV mejor corregida 6/10 en OD y 10/10 en OI.

Se realizó FO en ambos ojos, se distinguió focos de retinitis focal en arcadas aislados en resolución en OD, una papila de bordes netos y estrella macular. Se indicó

continuar con tratamiento en descenso gradual de corticoide, hasta la suspensión de todo el tratamiento. Luego de los 45 días del inicio de los síntomas, la paciente asistió a un nuevo control, y experimentó una recuperación de la AV mejor corregida 9.5/10 en OD y 10/10 en ID, asimismo mejoró el edema: macular, del disco óptico y la estrella macular (Fig. 5A y 5B).

Figura 1A: Imagen al FO de OD: Papila de bordes borrosos.

Fig 1B: Imagen al FO de OI.

En ambas imágenes se observan focos inflamatorios.

Figura 2A: OCT macular de OD: Edema macular.

Figura 2B: OCT macular de OI.

En ambas fotografías se aprecian focos de retinitis en polo posterior.

Figura 3A: OCT papilar de OD: Edema del disco óptico.

Figura 3B: OCT papilar de OI.

En ambas ilustraciones se identificó CFN aumentadas en todos los cuadrantes.

Neurorretinitis bilateral por Bartonella Henselae en adolescente inmunocompetente.

Figura 4A: Imagen de OD: Edema de papila y exudado. en área macular (estrella macular)
Figura 4B: Imagen OI
Figura 5B: Imagen de OCT macular de OI sin alteración.
Figura 5A: Imagen de OCT macular donde se observa macular en resolución de OD.

Neurorretinitis bilateral por Bartonella Henselae en adolescente inmunocompetente.

DISCUSIÓN

La neurorretinitis afecta a entre el 1% y el 2% de los pacientes con Bartonella henselae 8 , los gatos son portadores sanos y por tanto reservorios de esta bacteria 9 Se transmite vía vector, siendo la pulga Ctenocephalides felis responsable de la transmisión gato-gato, no así gato-humano10 La infección por Bartonella henselae es más común en individuos jovenes menores de 20 años e inmunocompetentes y rara vez causa enfermedad grave 2

Típicamente, los pacientes presentan neurorretinitis unilateral 11 , y la neurorretinitis bilateral es una presentación poco frecuente.

En nuestro estudio, se identificó signos compatibles con neurorretinitis bilateral, por tratarse de una joven de 18 años de edad, sin antecedentes de importancia, inmunocompetente, quien mencionó el contacto con gatos.

Se caracteriza típicamente por disminución unilateral e indolora de la AV, observándose característicamente al FO tumefacción granulomatosa de la papila óptica, edema macular y exudado lipídico (estrella macular) 5 . Este último hallazgo se presenta solo en un 45% de los casos de neurorretinitis por EAG 12 . En este reporte de caso, al FO se evidenció la formación de la estrella macular a los 7 días de la consulta inicial.

El diagnóstico se confirma a través de serología o cultivo positivo para Bartonella henselae. Aproximadamente dos tercios de los pacientes tienen pruebas serológicas positivas 14 . Las pruebas serológicas para Bartonella mediante inmunofluorescencia indirecta para detectar anticuerpos séricos anti- Bartonella henselae tienen altas sensibilidades y especificidades en pacientes inmunocompetentes 14

En el caso presentado, el diagnóstico se verificó mediante resultados positivos de IgG e IgM para Bartonella , a través de la técnica Inmunofluorescencia Indirecta.

El tratamiento es controversial 13 . Los estudios retrospectivos y prospectivos han encontrado que la duración media de la enfermedad fue significativamente más corta cuando los pacientes fueron tratados con ciertos antimicrobianos como rifampicina, gentamicina y azitromicina 15 . En una serie de casos retrospectivos de neurorretinitis por Bartonella henselae encontró evidencia de que el tratamiento con doxiciclina y rifampicina acorta el curso de la enfermedad y acelera la recuperación visual 16 . En el presente caso, la paciente recibió tratamiento con Meprednisona VO 40 mg/día durante 30 días con reducción gradual, Doxiciclina 100

mg cada 12 hrs. y Azitromicina 500 mg por día, que resultó en una excelente respuesta. El uso de corticoide sistémico ha sido ampliamente debatido; un estudio publicado en 2018 evidenció mejoría en pacientes con afectación moderada a severa de la agudeza visual cuando usaban antibiótico en combinación con el corticoide sistémico.

Los resultados fueron estad ísticamente significativos en relación con el pronóstico visual, a diferencia del régimen con antibiótico solo. Sin embargo, se requieren más estudios para comprobar su beneficio 17 .

Se inició el tratamiento, seguimiento clínico y oftalmológico, dentro del cual se realizó de manera seriada FO y campos visuales para evaluar la progresión tanto estructural como funcional de cuadro y el estado de los tejidos.

Los exudados maculares pueden tardar meses en desaparecer y a veces, luego de la resolución de la neurorretinitis, persiste una neuropatía óptica leve. Algunos quedan con palidez del nervio óptico, discromatopsias, disminución de la sensibilidad al contraste, potenciales visuales evocados alterados y defectos pupilares aferentes persistentes 13 . Nuestra paciente tuvo una evolución favorable, sin presentar secuelas.

Para lograr resultados óptimos en los pacientes es importante realizar un abordaje interdisciplinario, que incluya médicos, especialistas, profesionales de nivel medio, entre otros; para descartar otras patologías y compromiso sistémico.

CONCLUSIÓN

La neurorretinitis provocada por Bartonella es una afección poco común. En casos de neurorretinitis, la presencia de focos de retinitis uni o bilaterales asociados puede sugerir una etiología relacionada con la EAG. Es crucial realizar una anamnesis exhaustiva y una exploración oftalmológica meticulosa, indagando sobre antecedentes de contacto, arañazo o mordedura de gato para un diagnóstico preciso y un tratamiento adecuado.

Agradecimientos

Los autores agradecen a la Dra. Mariela Penida, Dra. Mariana Sánchez y al Dr. Gustavo Budmann por la colaboración prestada para la realización de este trabajo. Expresamos nuestro profundo agradecimiento a la Clínica de “Ojos Dr. Nano” por su valiosa contribución en la instrucción y formación en investigación clínica..

Neurorretinitis bilateral por Bartonella Henselae en adolescente inmunocompetente.

Responsabilidad ética - Derecho a la privacidad y consentimiento informado

Financiamiento

Ninguno de los autores recibió apoyo económico o de otro tipo, durante el desarrollo de esta investigación. Los autores han obtenido el consentimiento informado del paciente referido en este artículo. Este documento obra en poder del autor de correspondencia, y se encuentra documentado en la Clínica de ojos “Dr. Nano”.

Conflicto de interés

Los autores declaran no tener ningún conflicto de interés.

Referencias bibliográficas:

1 - Chang CC, Lee CJ, Ou LS, Wang CJ, Huang YC. Disseminated cat-scratch disease: case report and review of the literature. Paediatr Intl Child Health 2016;36:232-4.

2 - Jackson LA, Perkins BA, Wenger JD. Cat scratch disease in the United States: an analysis of three national databases. Am J Public Health 1993;83:1707.

3 - Stechenberg B, Kliegman R, Stanton B, Schor N, Behrman R, et al. Enfermedad por arañazo de gato (Bartonella henselae). Tratado de pediatría. 19a ed. Barcelona: Elsevier; 2013; 1027-30.

4 - Pérez G, Jorge, Munita S, José M, Araos B, Rafael et al. Neuroretinitis asociada a enfermedad por arañazo de gato: presentación de dos casos y revisión de la literatura. Rev. Chil Infect 2010;27:417-22.

5 - American Academy of Pediatrics. Red Bok: 2015 Report of the Committee on Infectious Diseases. 30th ed. In: Kimberlin DW, Brady MT, Jackson MA, Long SS, eds. Grove Village. 2015.

6 - Massei F, Gori L, Macchia P, Maggiore G. The expanded spectrum of bartonellosis in children. Infect Dis Clin North Am 2005;19:691-711.

7 - Ormerod L D, Skolnick K A, Menosky M M, Pavan P R, Pon D M. Retinal and choroidal manifestations of cat-scratch disease. Ophthalmology 1998; 105: 1024-31.

8 - Carithers HA. Cat-scratch disease. An overview based on a study of 1,200 patients. Am J Dis Child. 1985;139(11):1124–1133.

9 - Muñoz L, Baracatt P. Pesquisa serológica de Bartonella henselae en gatos en la ciudad de Santiago. Ab Cs Vet 2009;24:5-10.

10 - English R. Cat-Scratch disease. Pediatric in Review 2006;27:123-8.

11 - Florin TA, Zaoutis TE, Zaoutis LB. Beyond cat scratch disease: widening spectrum of Bartonella henselae infection. Pediatrics. 2008;121(5):e1413–e1425.

12 - Kristina Alaan, Melanie Fisher, Bryan Ellis. Cat scratch disease of the eye: a case report and literature review. West Virginia Medical Journal 2014;110:16-8.

13 - Welschen, D. V. del V. Neurorretinitis por Bartonella henselae: presentación de un caso y revisión de la literatura. Revista mexicana de oftalmología. 2016 90(5), 235–241.

14 - Suhler EB, Lauer AK, Rosenbaum JT. Prevalencia de evidencia serológica de la enfermedad por arañazo de gato en pacientes con neurorretinitis. Oftalmología. 2000; 107(5):871–876.

15 - Bass JW, Freitas BC, Freitas AD, Sisler CL, Chan DS, Vincent JM, et al. Prospective randomized double blind placebo-controlled evaluation of azithromycin for treatment of cat-scratch disease. Pediatr Infect Dis J. 1998;17(6):447–452.

16 - Reed JB, Scales DK, Wong MT, Lattuada CP, Jr, Dolan MJ, Schwab IR. Bartonella henselae neuroretinitis in cat-scratch disease. Diagnosis, management, and sequelae. Ophthalmology. 1998;105(3):459–466.

17 - Herran L, Leon LE, Grice JM, Ariza CD, Amaya A. Neurorretinitis por Bartonella henselae. Reporte de caso y revisión de la literatura. Revista Sociedad Colombiana de Oftalmología. 2020. Vol.53(2):104-109.

Trastornos del espectro de la neuromielitis óptica

Neuromyelitis

optica spectrum disorders.

Autores: Dra. Paula Daniela Andreotti, Dra. Laura Muriel Deibe, Dra. Camila Picardo y Dra. Victoria Quintela Torchitti. Jefe de residentes: Dr. Andrés Leonel Acquaro. Jefe de docencia: Dr. Carlos Miguel Ortega.

Abstract

In the present work, a clinical case related to neuromyelitis optica spectrum disorders (NMOSD) will be developed.

The suspicion begins with the peculiar and atypical presentation in a young female patient whose only symptoms are blurred vision and decreased visual acuity after physical exertion. The remaining ophthalmological examination was within the parameters considered normal, so complementary studies were requested, showing, in the magnetic resonance imaging, lesions compatible with demyelinating disease and bilateral campimetric alterations.

Directores del servicio: Dr. Juan Irungaray y Dr. Rodolfo Weskamp. Centro de Ojos Lanús. Lanús Oeste, Buenos Aires, Argentina

en una paciente femenina joven que manifiesta como única sintomatología visión borrosa y disminución de agudeza visual posterior a un esfuerzo físico. El examen oftalmológico restante resultó dentro de los parámetros considerados normales, por lo que se solicitaron estudios complementarios, evid enciando, en la resonancia magnética, lesiones compatibles con enfermedad desmielinizante y alteraciones campimétricas bilaterales. Frente a estos hallazgos, se inició el tratamiento correspondiente, con pulsos de corticoides intravenosos. Ante la falla a la primera línea de tratamiento, se indicó inmediatamente plasmaféresis, con la que se obtuvo una pronta mejoría evidenciada en la agudeza visual.

Hacemos hincapié en la importancia de un diagnóstico temprano para prevenir recaídas con secuelas de gravedad. CÓRNEA - REPORTE DE CASO

Given these findings, the corresponding treatment was initiated, with pulses of intravenous corticosteroids. Given the failure of the first line of treatment, plasmapheresis was immediately indicated, with which a prompt improvement was obtained in visual acuity. We emphasize the importance of early diagnosis to prevent relapses with serious sequelae.

Resumen

En el presente trabajo se desarrollará un caso clínico relacionado a los trastornos del espectro de la neuromielitis óptica (NMOSD).

La sospecha inicia ante la presentación peculiar y atípica

Introducción

Los NMOSD corresponden a trastornos autoinmunes, inflamatorios y desmielinizantes del sistema nervioso central con predilección por los nervios ópticos y la médula espinal.

En el 75% de los pacientes, se debe a la generación de anticuerpos anti Acuaporina 4 (AQP4), canal de agua proteico más abundante en el sistema nervioso central (SNC). En el 25% negativos para AQP4-IgG, la patogé -

Trastornos del espectro de la neuromielitis óptica. Neuromyelitis optica spectrum disorders.

nesis se debe a la presencia de IgG sericas dirigidos contra la glicoproteina mieloligodendrocitica, presente en la vaina de mielina a lo largo de todo el SNC.

La afectación bilateral simultánea tiene mayor frecuencia en seronegativos AQP4-IgG y positivos para MOG. Esta presentación en pacientes con AQP4-IgG positivos puede encontrarse en los estadios más avanzados.

La prevalencia en mujeres y hombres tiene una relación de 10:1, en seropositivos para AQP4-IgG, mientras que la relación disminuye a 3:1 respectivamente en seronegativos.

CASO CLÍNICO

Paciente femenina de 37 años, sin antecedentes patológicos, acude a la guardia oftalmológica por visión borrosa en ambos ojos de cuatro días de evolución, a predominio en su ojo derecho. Refirió que el inicio de los síntomas visuales fue posterior a la realización de un esfuerzo físico.

Al examen oftalmológico, presentó agudeza visual mejor corregida de 20/60 en ojo derecho y 20/30 en ojo izquierdo, sin particularidades en el resto del examen. Por ello, se decidió realizar exámenes complementarios (OCT macular, OCT de capa de fibras y campo visual computarizado 30.2), siendo solo significativo el resultado de la campimetría de ambos ojos.

Según estudios realizados, la campimetría computarizada ayuda a evaluar la gravedad de los ataques y son de importancia para el monitoreo de la eficacia y el alcance de la resolución del ataque espontáneo. Casos con afectaciones no centrales se han evidenciado en 25% de los pacientes diagnosticados, siendo las presentaciones más frecuentes los escotomas altitudinales, cuadrantanopsias, afectaciones de tres cuadrantes del campo visual y las hemianopsias homo o bilaterales. En este caso se puede evidenciar en el ojo derecho hemianopsia temporal incipiente y en el ojo izquierdo arcuato superior.

Si bien en la mayoría de los estudios se ha demostrado un adelgazamiento promedio de 55 a 83 um en la capa de fibras nerviosas luego de un ataque agudo de neuritis óptica, este caso se presenta como una excepción ya que se evidencia una densidad de fibras de 96 um y

La presentación de la patolo gía es variable y dependerá de las zonas afectadas por desmielinización, incluyendo síntomas motores, sensitivos y alteración de control de esfínteres hasta ceguera.

El diagnóstico se realiza mediante signos y síntomas clínicos, pruebas serológicas y resonancia magnética con y sin gadolinio.

El tratamiento para ambas variables es el pulso de corticoides endovenoso como primera línea y como segunda línea se puede utilizar la plasmaféresis. Como así también para evit ar la acumulación de discapacidad debido a ataques repetidos, la inmunoterapia a largo plazo es esencial.

100 um en ojo derecho e izquierdo respectivamente.

Ante la sospecha diagnóstica de neuritis óptica atípica, solicitamos laboratorio completo con análisis de anticuerpos AQP4 y anti MOG, resonancia magnética de cerebro, órbita y columna cervical, con y sin contraste. El análisis de los anticuerpos solicitados arrojó un resultado negativo para la totalidad.

Para destacar, en la RMN de órbita se apreciaron múltiples hiperintensidades espontáneas proveniente de la sustancia blanca bihemisférica y en la RMN de columna cervical se hallaron imágenes de hiperintensidad focal en T2 de la de hemi médula derecha, extendiéndose a la altura de C4 y C5, de 24 mm diámetro craneocaudal, compatible con lesión desmielinizante inflamatoria.

Se interpretó el cuadro como un trastorno del espectro de la neuromielitis óptica, por lo que se indicó tratamiento inmediato con pulsos de corticoide intravenoso y ante la falta de respuesta a los mismos, se decidió realizar plasmaféresis, con la que, posterior a cinco ciclos, se evidenció una mejoría de la agudeza visual de ambos ojos a 20/25.

Es importante considerar el principal diagnóstico diferencial, la esclerosis múltiple, siendo la RMN de cerebro crucial para distinguir entre estas entidades clínicas, ya que la presencia de lesiones inespecíficas en la sustancia blanca que no cumplen con los criterios de EM soportan el diagnóstico de NMO, por lo que el pronóstico y el tratamiento difieren considerablemente.

Trastornos del espectro de la neuromielitis óptica. Neuromyelitis optica spectrum disorders.

Imagen 1: Tomografía de Coherencia Óptica Macular. Imagen A. Ojo derecho y la imagen B corresponde al ojo izquierdo, ambos con perfiles foveales conservados.

Imagen 2: Tomografía de Coherencia Óptica de capa de fibras nerviosas de ambos ojos.

Trastornos del espectro de la neuromielitis óptica.

Neuromyelitis optica spectrum disorders.

Imagen 3: Campimetría computarizada en ojo derecho(OD) e izquierdo (OI) (izquierda y derecha respectivamente). Presenta en OD hemianopsia temporal incipiente acompañada de pérdida de sensibilidad superior con DM de -11,38dB y en OI arcuato superior con DM de -6,54dB.

Cuadro 1: Hallazgos típicos de imágenes por resonancia magnética (T2 a menos que se indique lo contrario) en NMOSD.

Trastornos del espectro de la neuromielitis óptica. Neuromyelitis optica spectrum disorders.

Imagen 4: Resonancia magnética de encéfalo y órbitas (con y sin gadolinio). En pulso FLAIR se aprecian múltiples hiperintensidades espontáneas provenientes de la sustancia blanca bihemisférica, la dominante a nivel temporal derecho, de 12 mm de diámetro, sugestivas de lesiones desmielinizantes. No generan efecto de masa y presentan discreto realce.

Cuadro 2: Diagnósticos alternativos/diferenciales seleccionados para NMOSD.

Trastornos del espectro de la neuromielitis óptica. Neuromyelitis optica spectrum disorders.

Conclusión

A pesar del bajo porcentaje en que se presentan estas patologías, es necesario considerarlas como diagnóstico diferencial ante pacientes jóvenes que se presentan a la consulta con disminución de agudeza visual o manifestaciones visuales sin relación con otros trastornos.

Habiendo descartado lo s principales diagnósticos presuntivos, es importante realizar los exámenes complementarios con criterio y dirigidos a las patologías que buscamos descartar.

Ante la confirmación, mediante los mismos, decidimos accionar con el tratamiento preciso

para evitar la prolongación del ataque agudo. La terapia de primera línea recomendada para el ataque agudo consiste en el uso de corticoides intravenosos en altas dosis durante 5 días consecutivos iniciados tan pronto como sea posible. La plasmaféresis es otra estrategia que debe ser considerada cuando los signos y síntomas clínicos progresan o no mejoran tras el uso de corticoides.

El diagnóstico temprano de esta patología, su tratamiento a tiempo y la prevención de ataques es clave para reducir secuelas e incluso la discapacidad permanente.

Referencias bibliográficas:

1. Saif Huda, Maneesh Bhojak, Jayne Chamberlain, Carmel Noonan, Anu Jacob, Rachel Kneen - Clin Med (Lond). 2019 Mar; 19(2): 169–176. PMCID: PMC6454358 PMID: 30872305 - Neuromyelitis optica spectrum disorders.

2. Sven Jarius, Friedemann Paul, Brian G Weinshenker , Michael Levy, Ho Jin Kim, Brigitte Wildemann PMID: 33093467 Neuromyelitis optica.

3. Dean M Wingerchuk , Vanda A Lennon, Claudia F Lucchinetti, Sean J Pittock, Brian G Weinshenker PMID: 17706564 The spectrum of neuromyelitis optica

4. Yachinee Naphattalung, Wanicha Leetiratanai Chuenkongkaew, Niphon Chirapapaisan, Poramaet Laowanapiban, Supattra Sawangkul - Ann Med. 2023; 55(1): 2227422. Published online 2023 Jun 30. PMCID: PMC10316725 PMID: 37387119 - Plasma exchange for acute optic neuritis in neuromyelitis optica or neuromyelitis optica spectrum disorder: a systematic review.

5. Fernando Gracia, Deyanira Ramírez, Alexander Parajeles-Vindas - Neurol. Int. 2022, 14(1), 284-293; Submission received: 30 January 2022 / Revised: 9 March 2022 / Accepted: 12 March 2022 /Published: 17 March 2022- Neuromyelitis Optica Spectrum Disorder in Central America and the Caribbean: A Multinational Clinical Characterization Study.

6. Juan Ignacio Rojas, Sergio Javier González, Liliana Patrucco y Edgardo Cristiano- Neuromielitis óptica. Actualización de los conceptos clínicos y fisiopatológicos de la enfermedad- revista.hospitalitaliano.org.ar

7. I. Lopategui Cabezas, M. Cervantes Llano, G. Pentón Rol - An. Med. Interna (Madrid) vol.25 no.6 jun. 2008 - Neuromielitis óptica. Principales diferencias con la esclerosis múltiple Optic neuromyelitis. Main differences with multiple sclerosis.

8. Claudio Meza Poblete, Pilar Canales Fernández- Rev. chil. neuro-psiquiatr. vol.58 no.2 Santiago jun. 2020 - Bases Fisiopatológicas Del Espectro De Neuromielitis Óptica: ¿Qué Sabemos?

9. Caleb L. Shumway; Bhupendra C. Patel; Koushik Tripathy; Orlando De Jesus - January 8, 2024- Neuromyelitis Optica Spectrum Disorder (NMOSD)

10. Sven Jarius, Orhan Aktas, Ilya Ayzenberg - Published: 06 April 2023 Volume 270, pages 3341–3368, (2023) Journal of Neurology- Update on the diagnosis and treatment of neuromyelits optica spectrum disorders (NMOSD) – revised recommendations of the Neuromyelitis Optica Study Group (NEMOS). Part I: Diagnosis and differential diagnosis.

11. Michael Levy -Neurol Neuroimmunol Neuroinflamm. 2018 Nov 7;6(1):e518. doi: 10.1212/NXI.0000000000000518. eCollection 2019 Jan.

PMID: 30568996 - Plasmapheresis for acute attacks in neuromyelitis optica spectrum disorders.

White-eyed blowout A propósito de un caso

Autores: Dr. Francisco Martínez Sagasta, Dra. Soledad Valeiras, Dra. Mercedes Azulay, Dra. Valentina Rodríguez Martini y Dr. Fernando Mayorga Argañaraz. Servicio de Oftalmología, Hospital Alemán de Buenos Aires.

INTRODUCCIÓN

Las fracturas de órbita son lesiones frecuentes en la población pediátrica. Existen distintos mecanismos fisiopatológicos que llevan a presentar este tipo de fracturas. En los niños pequeños, a diferencia de los adultos, la fractura del techo orbitario es más frecuente debido a las dimensiones craneofaciales, la ausencia de neumatización de los senos paranasales y la falta de dentición. Las piezas dentarias permanecen dentro del maxilar superior y de esta forma actúan como un factor protector del piso orbitario. Luego de los siete años, la incidencia de fractura de piso aumenta y comienzan a producirse las llamadas “blowout”, superando a la del techo de órbita. A esta edad el cráneo se asemeja al del adulto, al igual que los puntos de debilidad de las paredes orbitarias, siendo las más delgadas y pasibles de lesionarse la pared medial y el piso de la órbita. (Figura 1) Durante la infancia, los huesos presentan mayor elasticidad, motivo por el cual al ocurrir una fractura, el trazo fracturario tiende a volver a su posición original, las conocidas fracturas de tallo verde. Al producirse el trauma aumenta la presión dentro de la órbita la cual se transmite hacia los

puntos más débiles rompiendo los mismos, teniendo en cuenta que la misma es una cavidad no expansible, lo que permite el paso de las estruc turas blandas or bitarias hacia espacios de menor presión (desde la órbita hacia los senos paranasales adyacentes) (1-2-3). Al finalizar el trauma la presión disminuye y el trazo fracturado vuelve a su posición normal lo que genera en algunos casos un atrapamiento del contenido herniado hacia el seno ya sea músculo o tejido orbitario (fractura tipo trapdoor ). Esto contrasta con el adulto, donde los huesos son más maduros, quebradizos y menos flexibles. Al recibir un golpe de iguales características, el piso sufre múltiples fracturas que se desplazan hacia el antro en lugar de permanecer articuladas, fracturas que llamamos “opendoor” (4).

Las fracturas de piso de ór bita pueden provocar diplopía, enoftalmos, hipoglobo, parestesia del nervio infraorbitario, oftalmoplejía, incluso desencadenar el reflejo oculocardíaco en caso de atrapamiento muscular (también conocido como fenómeno de Aschner o reflejo trigéminocardíaco) sumando al cuadro síntomas vagales tales como vómitos, náuseas, hipotensión, síncope, bradicardia (5). El diagnóstico es clínico acompañado de imágenes de tomografía (TC), estudio de elección para este tipo de pa -

1.

del

Figura
Imagen
desarrollo craneofacial. A: bebé 1 año. B: Niño 6 años. C: adulto.

White-eyed blowout - A propósito de un caso.

tología, aunque muchas veces fracturas pequeñas con atrapamientos leves pueden ser difíciles de observar y la clínica será soberana.

La relativa escasez de signos clínicos periorbitarios (como la ausencia de hemorragia subconjuntival o equimosis/inflamación palpebral) asociados a este tipo de fractura en pediátricos, dió lugar al término fractura por estallido de "ojos blancos", o “White-eyed blowout fracture” (WEBOF) Esto puede provocar un retraso en el diagnóstico y dar lugar a un resultado subóptimo por falta de tratamiento a tiempo (6).

Se describe a la WEBOF con tres pilares característicos: 1) evidencia discreta de fractura en los estudios de imagen; 2) restricción en motilidad ocular; y 3) traumatismo mínimo o nulo de los tejidos blandos (de ahí el término "ojos blancos") (5). Y a ellos se suma la presencia o no de síntomas vagales ya previamente descritos.

Las fracturas de piso de órbita confirman el 15% de las fracturas faciales pediátricas (7). De todas formas, esto no está limitado a la población pediátrica y hay reportados casos en pacientes adultos, aunque en menor frecuencia (8).

PRESENTACIÓN DE UN CASO

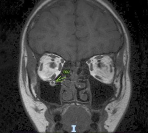
Un paciente masculino de 13 años, sin antecedentes médicos significativos, fue derivado a nuestra consulta oftalmológica debido a una fractura en el piso de la órbita derecha, resultado de un traumatismo contuso durante un partido de rugby. Antes de la consulta, experimentó varios episodios de vómitos durante aproximadamente 5 horas después del incidente. Al ex aminarlo, se encontró que su agudeza visual era de 20/20 en ambos ojos, con reflejos pupilares normales, presión intraocular y fondo de ojos dentro de los límites normales. En el ojo derecho, se observó una conjuntiva blanca con equimosis y leve edema en el párpado inferior (Figura 2) La motilidad ocular reveló una limitación en la supra e in fraducción del ojo derecho, con diplopía en dichas posiciones pero ausente en posición primaria (Figura 3) . Por otro lado, los episodios repetidos de vómitos antes de la consulta sugirieron la posible presencia de un reflejo oculocardíaco. La tomografía computarizada previamen te realizada en otro centro mostró la fractura en el piso de la órbita y el signo de la gota (Figura 4) , sin compromiso de los músculos extraoculares. Ante estos hallazgos, se solicitó una resonancia magnética de órbita, que reveló herniación del tejido adiposo orbitario hacia el seno maxilar, causando atrapamiento del músculo recto inferior (Figura 5)

El paciente fue hospitalizado para estabilización sistémica y se sometió a cirugía de exploración y reconstrucción del piso de la órbita derecha utilizando una placa de polietileno poroso. Durante la cirugía, se liberó el contenido herniado en el piso de la órbita derecha mediante un abordaje

transconjuntival (Figura 6 y 7) , permitiendo una adecuada motilidad ocular. Luego, se colocó la placa de polietileno poroso para reconstruir el piso de la órbita (Figura 8) . En la consulta de seguimiento una semana después de la cirugía, el paciente mostró buen estado general, sin molestias, con mejora en la motilidad ocular y ausencia de diplopía (Figura 9)

Figura 2. Se observa en posición primaria de la mirada leve equimosis y edema palpebral inferior derecho con la conjuntiva blanca en ojo derecho.
Figura 3. Restricción de la motilidad ocular en ojo derecho en la supraducción e infraducción.
Figura 4. Tomografía de órbita y senos paranasales. Corte coronal, ventana ósea. Se observa trazo fracturario en piso de la órbita derecha con el signo de la gota.

White-eyed blowout - A propósito de un caso.

Figura 5 Resonancia Magnética de órbita: se observa herniación del tejido orbitario a nivel del piso de la órbita derecha hacia el seno maxilar, condicionando un atrapamiento del músculo recto inferior.

Figura 6. Gráfico del abordaje transconjuntival representado en color naranja. Se observa en azul la placa de polietileno poroso y en amarillo la solución de continuidad a niver el piso orbitario.

Figura 7. Imagen por endoscopia del piso orbitario derecho luego de abordaje transconjuntival inferior: Trazo fracturario en el piso de la órbita y liberación del contenido herniado en la misma.

Figura 8. Imagen por endoscopia del piso orbitario derecho luego de abordaje transconjuntival inferior: Colocación de placa de polietileno poroso sobre trazo fracturario en piso de la órbita.

Figura 9. Postoperatorio de una semana con notable mejoría en las ducciones.

DISCUSIÓN

El caso describe una fractura de piso órbita de tipo WEBOF . La sospecha diagnóstica fue en primera instancia a partir de la clínica, incluyendo síntomas característicos como vómitos, náuseas (por reflejo oculocardíaco), estrabismo restrictivo y diplopía. Por otro lado, las imágenes tomográficas y de resonancia apoyaron el diagnóstico, las cuales evidenciaban el trazo de fractura con el signo de la gota patognomónica confirmando el atrapamiento de tejido orbitario o trapdoor. Sin embargo, debemos entender que dichas imágenes son estudios complementarios a la clínica y en algunas ocasiones los hallazgos no son concluyentes. Tampoco es necesario ni obligatorio el pedido de una resonancia magnética y el mismo nodebería demorar la conducta quirúrgica la cual es de carácter urgente.

White-eyed blowout - A propósito de un caso.

La literatura coincide que el tratamiento quirúrgico de este tipo de fracturas WEBOF con atrapamiento debe realizarse dentro de las 48 horas post trauma para prevenir la contractura e isquemia de los músculos extraoculares y así obtener mejor es resultados terapéuticos (5). Posterior a este lapso de tiempo, existe un riesgo aumentado de estrabismo y diplopía permanente. Para el abordaje quirúrgi co de fracturas orbitarias WEBOF, las más utilizadas son el abordaje transconjuntival o el transcutáneo a nivel subciliar (debajo de las pestañas) (9-10), siendo el transconjuntival el de elec-

CONCLUSIONES

En casos de trauma orbitario en niños, es fundamental descartar la presencia de frac turas orbitarias y descartar el compromiso muscular en ellas. Tal como se mencionó anteriormente, estas fracturas pueden presentarse con el ojo blanco y sin signos inflamatorios o con mínima equimosis y edema palpebral. Los signos indicativos de fractura con atrapamiento muscular o trapdoor incluyen náuseas y vómitos durante la motilidad ocular, característicos del reflejo oculocardiaco, así como diplopía y en oftalmos. El diagnóstico se fundamenta principalmente

ción para la población pediátrica. A su vez, estos abordajes pueden complementarse con una cantotomía lateral para mayor visualización y campo quirúrgico. La posibilidad de contar con una torre de endoscopia nos facilita la visualización de la fractura y nos ayuda a constatar la correcta liberación del tejido orbitario herniado. De todas formas, no es condición sine qua non para la realización de la cirugía, dado que las maniobras de ducciones pasivas antes y después de la liberación del tejido orbitario nos permiten determinar su correcta liberación.

en la clínica. La tomografía es el estudio de elección para el estudio de fracturas orbitarias, aunque la resonancia magnética puede utilizarse de forma complementaria en casos de duda diagnóstica.

El tratamiento de las fracturas tipo WEBOF , cuando presentan la clínica descrita, es quirúrgico y la misma debe realizarse de manera temprana para asegurar un mejor pronóstico. Contar con la posibilidad de visualizar la fractura durante la cirugía con un endoscopio nos facilita la realización de la misma.

Referencias bibliográficas:

(1) Smith, B., & Regan, W. F. (1957). Blow-Out Fracture of the Orbit *. American Journal of Ophthalmology, 44(6), 733–739. (2) Fujino, T. (1974). Experimental “BLOWOUT” fracture of the orbit . Plastic and Reconstructive Surgery, 54(1), 81–82

(3) Khojastepour L, Moannaei M, Eftekharian HR, Khaghaninejad MS, Mahjoori-Ghasrodashti M, Tavanafar S. Prevalence and severity of orbital blowout fractures . Br J Oral Maxillofac Surg. 2020 Nov;58(9):e93-e97. doi: 10.1016/j.bjoms.2020.07.001. Epub 2020 Jul 14. PMID: 32680725.

(4) Jordan DR, Allen LH, White J, Harvey J, Pashby R, Esmaeli B. Intervention within days for some orbital floor fractures: the white-eyed blowout. Ophthalmic Plast Reconstr Surg. 1998 Nov;14(6):379-90. doi: 10.1097/00002341-199811000-00001. PMID: 9842557.

(5) Saggese, N. P., Mohammadi, E., & Cardo, V. A. (2019). The “White-eyed” Orbital Blowout Fracture: An Easily Overlooked Injury in Maxillofacial Trauma . Cureus.

(6) O’Connell, J. E., Hartnett, C., Hickey-Dwyer, M., & Kearns, G. J. (2015). Reconstruction of orbital floor blow-out fractures with autogenous iliac crest bone: A retrospective study including maxillofacial and ophthalmology perspectives . Journal of Cranio-Maxillofacial Surgery, 43(2), 192–198.

(7) Wei, L. A., y Durairaj, V. D. (2011). Pediatric orbital floor fractures . Journal of American Association for Pediatric Ophthalmology and Strabismus, 15(2), 173–180.

(8) Ethunandan, M., & Evans, B. T. (2011). Linear trapdoor or “white-eye” blowout fracture of the orbit: not restricted to children . British Journal of Oral and Maxillofacial Surgery, 49(2), 142–147.

(9) Pedemonte. Abordaje transconjuntival: primera elección en trauma orbitario . Rev Esp Cirug Oral y Maxilofac vol.42 no.1 Madrid ene./mar. 2020 Epub 04-Mayo-2020

(10) Al-Moraissi, E. A., Thaller, S. R., & Ellis, E. (2017). Subciliary vs. transconjunctival approach for the management of orbital floor and periorbital fractures: A systematic review and meta-analysis . Journal of Cranio-Maxillofacial Surgery, 45(10), 1647–1654

(11) Jeffrey A. Nerad - Techniques in Ophthalmic Plastic Surgery_ A Personal Tutorial (2009, Saunders)

Ritmo circadiano y bloqueadores de luz azul

PARTE 2

Autores: Martín De Tomás, Product Manager Novar. Dra. Gabriela Rodríguez, Oftalmóloga funcional.

Es difícil encontrar hoy en día, biohackers, médicos funcionales y especialistas o entusiastas en epigenética que no aparezcan en alguno de sus posteos luciendo lentes anaranjados o rojizos. Pero es importante saber que, si lo que se busca al usar estos filtros, es colaborar con la glándula pineal y su rol dentro del ritmo circadiano, deberían usarse siempre a partir que el sol comienza a caer, NUNCA ANTES.

En la edición de octubre del año 2020 de Oftalmonews , ya compartimos una nota sobre este tema abordándolo desde el punto de vista óptico, explicando cómo fue que los filtros oftálmicos de corte 450nm amarillo, 527nm naranja y 600nm rojo, en aquel contexto de hiperconectividad que había impuesto la pandemia, dejaban de ser exclusividad de las cajas de filtros de baja visión y se comenzaban a comercializar online en ámbitos como por ejemplo el Biohacking

Cuatro años después, invitamos a una médica oftalmóloga infantil especialista en estrabismo, que siempre aporta su mirada más integrat iva en cuestiones de salud visual, para que nos ponga al día acerca algunas cuestiones sobre cómo impacta la luz azul en el sistema visual y en el organismo en general, y cómo colaborar para tener siempre en hora nuestro reloj biológico.

Ritmo circadiano y bloqueadores de luz azul.

Dejo la nota en manos de GABRIELA RODRIGUEZ.

Durante la evolución de la vida, los organismos internalizaron el ritmo temporal de la rotación de la Tierra y finalmente desarrollaron relojes biológicos autosostenibles. Estos ritmos diarios internos con períodos de aproximadamente 24 h se denominan ritmos circadianos (del latín, circa = alrededor y dies = día). Los procesos y estructuras que generan ritmos circadianos se denominan relojes circadianos. El reloj circadiano primario en los humanos es el núcleo supraquiasmático ubicado en el hipotálamo. Desde la invención y la adopción generalizada de luces eléctricas durante los últimos 140 años, los humanos han logrado manipular la duración e intensidad de la luz, tanto en ambientes exteriores como interiores alterando estos ritmos circadianos.

La exposición a la luz fuera del día altera la maquinaria genética subyacente a estos relojes circadianos endógenos, demasiada exposición a la luz por la noche o muy poca exposición a la luz durante el día puede alterar los mecanismos de sincronización central y periférica, de estos y desregular el funcionamiento fisiológico y conductual típico y óptimo de 24 horas de los individuos.

Gran cantidad de personas están expuestas al trabajo en turnos nocturnos, a una ingesta de alimentos fuera de horario y a la luz nocturna, c omo consecuencia, los indivi -

El reloj molecular circadiano ubicado en el SCN, en el hipotálamo, el núcleo supraquiasmático es el responsable de orquestar eventos biológicos en tiempos óptimos, al sincronizar la fisiología endógena con señales exógenas, o zeitgebers, asegurando la homeostasis interna.

La señal más potente de este reloj es la luz que transmite información temporal a los centros cerebrales, que luego transmiten esta información temporal a través de señales de neurotransmisores y hormonas a otras partes del organismo para ejercer sus funciones. .

La información fótica ingresa a las células ganglionares de la retina intrínsecamente fotosensibles (ipRGC) y viaja a través del tracto retino hipotalámico.(4)

Las IpRGC expresan melanopsina, un fotopigmento, la Neuropsina, OPN4 que se activa preferentemente con luz de longitud de onda corta (460–480 nm; luz azul), y es fundamental en el proceso de sincronización circadiana inhibiendo con su presencia la producción de melatonina (5) cuya principal función es regular el sueño vigilia. Recientemente, fue descubierta la Neuropsina (OPN5) en las células que regula el reloj retinal podría regular el

duos no pueden realizar todas las funciones fisiológicas y conductuales correctamente.

La respiración, la presión arterial y la frecuencia cardíaca varían a lo largo del día en respuesta a la actividad y las señales programadas por el reloj.

Los ritmos circadianos alterados perjudican la función y pueden aumentar el riesgo de enfermedades o provocarlas.(1,2,3)

crecimiento del ojo a través de la secreción de Dopamina en las células amácrinas ante la presencia de luz, íntimamente relacionada con la aparición de la Miopía

Ritmo circadiano y bloqueadores de luz azul.

Una sola noche de exposición a 100 luxes de luz durante el sueño afecta varias medida s cardiometabólicas; específicamente, ALAN ( Artificial Light at Night ) aumenta la frecuencia cardíaca nocturna, disminuye la variabilidad de la frecuencia cardíaca y aumenta la resistencia a la insulina a la mañana siguiente en humanos, todavía no está claro porque mecanismos específicos se produce el aumento de la resistencia a la insulina, pero es independiente de la alimentación.(6)

La melatonina circulante también desempeña un papel en la regulación de los ritmos de glucosa y leptina plasmática y la melatonina suprimida debido a la exposición a la luz artificial en la noche ALAN puede afectar la regulación metabólica. Además, las concentraciones alteradas de me -

latonina se han asociado con cambios en los ritmos de las hormonas tiroideas, suprarrenales y reproductivas, lo que sugiere que los efectos de ALAN y las alteraciones de los ritmos de melatonina pueden exacerbar aún más las alteraciones neuroendócrinas y metabólicas.(7,8,9)

Están en constante revisión diversas estrategias prometedoras para contrarrestar algu nas de las secuelas de los ritmos internos alterados.(10)

Entre ellas, en esta sociedad moderna, podríamos aplicar un ritmo de comidas respetando mismo horario, contacto con la luz infrarroja de las primeras horas del día y las del atardecer, protección contra luz azul de pantallas

sobre todo durante la noche, sueño reparador de 8 horas seguidas en lo posible, alimentación sin procesado, azúcares lo más natural, libre de tóxicos posible y estacional que esté al alcance, ejercici o de acuerdo a la individualidad de cada uno, exposición razonable al sol y la luz, y también, claro que sí, lentes bloqueadores de azul turquesa para no confundir al cerebro una vez caído el sol, en tiempos de luz led.

Referencias bibliográficas:

1) Meléndez-Fernández O., Walton J., DeVries A., Nelson R. Relojes, ritmos, sexo y corazones: cómo los ritmos circadianos alterados, la hora del día y el sexo influyen en la salud cardiovascular. Biomolecules. 2021

2) Chellappa S., Vujovic N., Williams JS, Scheer FA Impacto de la alteración circadiana en la función y la enfermedad cardiovascular. Trends Endocrinol. Metab. 2019; 30 :767–779

3) Bedrosian TA, Fonken LK, Nelson RJ Efectos endocrinos de la alteración circadiana. Annu. Rev. Physiol. 2016; 78 :109–131. doi: 10.1146/annurev-physiol-021115-105102

4) Yamazaki S., Goto M., Menaker M. No hay evidencia de fotorreceptores extraoculares en el sistema circadiano del hámster sirio. J. Biol. Rhythm. 1999; 14 :197–201.

5) Moore RY, Speh JC, Card JP El tracto retinohipotalámico se origina a partir de un subconjunto distinto de células ganglionares de la retina. J. Comp. Neurol. 1995

6) Mason IC, Grimaldi D., Reid KJ, Warlick CD, Malkani RG, Abbott SM, Zee PC La exposición a la luz durante el sueño afecta la función cardiometabólica. Proc. Natl. Sci. USA. 2022

7) Echakir I., Dumont S., PéVet P., Eouarour A., Echallet E., Evuillez P. La melatonina pineal es un marcador de tiempo circadiano para el ritmo de la leptina en hámsteres sirios. Portada. Neurosci. 2015

8) Scheving EL, Pauly EJ Efecto de la luz sobre los niveles de corticosterona en el plasma de ratas. Am. J. Physiol. Content. 1966; 210 :1112–1117.

9) Snyder SH, Zweig M., Axelrod J. Control del ritmo circadiano en el contenido de serotonina de la glándula pineal de la rata. Life Sci. 1964; 3 :1175–1179

10) 1. Circadian Rhythms Disrupted by Light at Night and Mistimed Food Intake Alter Hormonal Rhythms and Metabolism by O. Hecmarie Meléndez-Fernández *ORCID,Jennifer A. Liu andRandy J. NelsonORCID Department of Neuroscience, Rockefeller Neuroscience Institute, West Virginia University, Morga ntown, WV 26506, USAInt. J. Mol. Sci. 2023, 24(4), 3392

OMNI SRL 40 años de innovación y excelencia en tecnología

Desde sus inicios en 1984, OMNI SRL ha tenido el privilegio de acompañar los mayores avances de la oftalmología, equipando a los especialistas con las herramientas más innovadoras y de la más alta calidad.

La historia comenzó de la mano de Isabel Romero quien introdujo en el país las primeras lentes intraoculares, de la marca Storz , una revolución absoluta para la cirugía de cataratas de aquel momento. Desde entonces, ofrecer lo último en tecnología de avanzada se convirtió en pilar fundacional y característica distintiva de la compañía.

En 1997 obtuvo la representación de Oculus. Luego, a partir de la incorporación de Hernán Fernández como socio de la compañía, se constituyó un gabinete técnico especializado que permitió acceder a la distribución de equipos de alta complejidad de reconocidas marcas como Lumithera, Optovue, EarlySight, Olleyes, TowardPi, que se sumaron a la ya mencionada Oculus

OMNI SRL ha crecido significativamente, siempre manteniendo el compromiso con la calidad y la mejora continua. A lo largo de estas cuatro décadas, la empresa ha sido testigo y partícipe de transformaciones definitivas para el diagnóstico y el cuidado de la salud visual. Su lema “Pasión por la tecno-

logía” los ha llevado a ofrecer soluciones que no solo atienden las necesidades actuales de los profesionales de la salud visual sino que también anticipan los desafíos futuros.

Priorizando siempre el profesionalismo y la atención personalizada, los integrantes del equipo técnico y de venta asisten periódicamente a cursos de perfeccionamiento en el exterior con la finalidad de actualizar conocimientos y habilidades que permiten brindar a los clientes un servicio de posventa destacado a través de los años como uno de los principales diferenciales de la compañía.

En el marco de este aniversario, los socios gerentes y el equipo de OMNI SRL quieren expresar su agradecimiento a la co-

munidad de profesionales que han confiado en ellos a lo largo de los años y que sin duda han sido fundamentales para el éxito de la empresa.

“Miramos hacia adelante con entusiasmo, comprometidos a seguir innovando. El futuro nos reserva muchas más oportunidades para mejorar la calidad de vida de las personas. Juntos continuaremos explorando nuevas fronteras, siempre con el objetivo de superar las expectativas de nuestros clientes. Celebramos estos 40 años con una mirada de gratitud al pasado y de expectativa hacia un futuro lleno de posibilidades”

OMNI SRL comprometidos con el futuro

En la actualidad, ya consolidados como un referente de alta tecnología en el ámbito de la oftalmología, continúa marcando la diferencia al representar en el país a marcas de equipamiento médico de vanguardia como Oculus, un socio a nivel mundial en el desarrollo y producción de equipos como la Pentacam AXL Wave® , el Keratograph 5M® y el Corvis® con los más altos estándares en el campo del diagnóstico oftalmológico; Visionix Optovue con su destacada linea de OCT, Lumithera con Valeda® y el primer tratamiento de fotobiomodulación aprobado para tratar la degeneración macular

seca; y la disruptiva cámara oftálmica Cellularis Discovery® de EarlySight que ofrece imágenes a nivel celular de la retina y el disco óptico para investigar la anatomía del ojo y diagnosticar los procesos patológicos desde una perspectiva completamente nueva. Asimismo OMNI SRL anuncia su reciente asociación con TowardPi, una empresa cuyos últimos avances presentados en el mundo constituyen la más innovadora y disruptiva tecnología OCTA, llevando los límites conocidos en diagnóstico hacia nuevas fronteras. Esta colaboración tiene como objetivo introducir los equipos

OCTA de Full-Range Swept-Source, 400Khz, BMizar® y YAlkaid® y, en un futuro próximo, los microscopios de tecnología OCT 4D en tiempo real, herramientas que mejoran la precisión diagnóstica y la atención de los pacientes. Con una visión clara hacia el futuro, OMNI no solo se dedica a importar equipos de última generación, sino que también acompaña a los profesionales de la salud capacitándolos y asesorándolos en todo momento para que la innovación tecnológica llegue a los consultorios, revolucionando el campo de la oftalmología en todo el país.

Turn static files into dynamic content formats.

Create a flipbook
Issuu converts static files into: digital portfolios, online yearbooks, online catalogs, digital photo albums and more. Sign up and create your flipbook.
Revista Oftalmonews julio-agosto 2024 by fibertel23 - Issuu