
21 minute read
MEDACTUEL
Ingestion de corps étranger par les enfants
ÉPIDÉMIOLOGIE, FACTEURS DE RISQUE ET PRISE EN CHARGE
OBJECTIFS PÉDAGOGIQUES 1. Connaître l’épidémiologie des ingestions de corps étrangers digestifs chez l’enfant. 2. Identifier les manifestations cliniques, les complications et les facteurs de gravité. 3. Reconnaître les particularités radiologiques. 4. Connaître les éléments liés à la prise en charge en urgence et au suivi. 5. Se familiariser avec les messages clés de prévention destinés aux familles.
Cette leçon est accessible sur
RÉDACTION
PRÉVOST JANTCHOU, M. D., MPH, PH. D., MBA, GASTROENTÉROLOGUE PÉDIATRIQUE, CHU SAINTE-JUSTINE, ET PROFESSEUR AGRÉGÉ, UNIVERSITÉ DE MONTRÉAL
RÉVISION SCIENTIFIQUE
DIANE POIRIER, M. D., M. SC., MÉDECINS AUX SOINS INTENSIFS ET PROFESSEURE D’ENSEIGNEMENT CLINIQUE À L’UNIVERSITÉ DE SHERBROOKE
Mise en contexte
L’ingestion des corps étrangers (CE) digestifs est un phénomène fréquent en pédiatrie. Bien que la plupart des objets traversent le tube digestif sans gravité, dans quelques cas, selon la taille ou la nature des matériaux, ces objets peuvent conduire à des lésions importantes au niveau de la muqueuse digestive.
Ces dernières années, on note une augmentation importante de l’incidence de l’ingestion des corps étrangers par les enfants, notamment en raison de la nature des objets à leur disposition et aussi de l’impact de la pandémie sur le temps passé à domicile. Les messages de prévention et d’éducation auprès des familles restent nécessaires pour éviter des complications pouvant aller jusqu’au décès.
Épidémiologie
L’ingestion de corps étrangers (ICE) est un problème très fréquent chez les enfants. En 2020, 87 603 Américains ont ingéré un corps étranger (CE). Parmi eux, 71 % étaient des enfants âgés de moins de cinq ans1. Un total de 10 535 cas étaient des piles boutons (piles plates).
CAS CLINIQUE 1/1
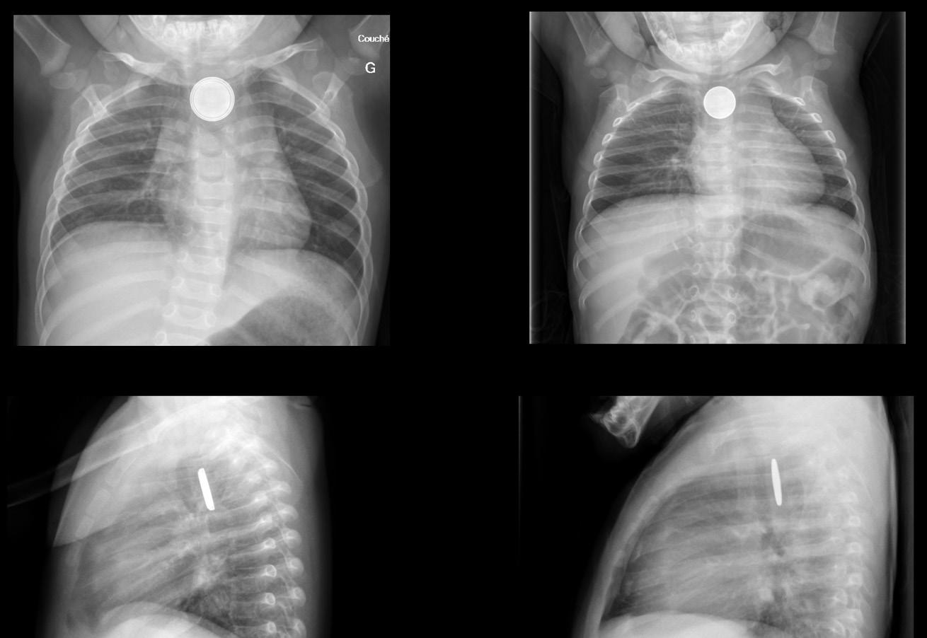
Jérémy, cinq ans, est vu en urgence, amené par sa grand-mère, car il a avalé une pile bouton. La grand-mère avait enlevé la pile de la télécommande de la porte du garage dans le but de la remplacer, car elle était usée. Elle avait posé la vieille pile sur la table à manger dans la cuisine. Alors que sa grand-mère s’affairait à terminer le souper, Jérémy a attrapé discrètement cet objet brillant et l’a mis à la bouche. Quelques heures plus tard, il se met à vomir et se plaint d’une douleur au niveau de la poitrine. La grand-mère lui demande alors ce qui se passe et soupçonne initialement une réaction allergique, car Jérémy est connu pour de multiples allergies alimentaires. Finalement, il avoue avoir ingéré cet objet métallique, la pile. Paniquée, la grand-mère appelle le centre antipoison qui lui conseille de consulter rapidement aux urgences.
À son arrivée, nous constatons un enfant en bon état général, mais qui présente une hypersalivation et se plaint de douleurs rétrosternales; les signes vitaux sont normaux. Une radiographie thoracique est demandée en toute urgence et démontre la présence d’un objet arrondi au tiers moyen de l’œsophage. Nous organisons une endoscopie digestive sous anesthésie générale qui permet de retirer une pile bouton de 20 mm de diamètre. Lors de la procédure, on note déjà une zone importante d’érythème en regard de l’emplacement du corps étranger avec un ulcère superficiel et des zones de nécrose.
Devant la gravité de l’atteinte endoscopique, nous organisons le lendemain une tomodensitométrie qui ne montre pas de signe d’atteinte médiastinale.
Une hospitalisation de quelques jours permet d’effectuer une surveillance et l’évolution par la suite est satisfaisante avec un enfant qui s’alimente correctement sans signe de sténose de l’œsophage sur une opacification réalisée à court terme. Un suivi à distance est toutefois recommandé après le congé.
1ŒSOPHAGITE NÉCROTIQUE SUR INGESTION DE PILE BOUTON
: PRÉVOST JANTCHOU PHOTOS
Selon les données du National Electronic Injury Surveillance System, entre 1995 et 2015, il y a eu une augmentation du nombre d’ICE de 93,3 % (22 206 ingestions par année en 1995 à 42 928 ingestions par année en 2015) dans une cohorte totale de 759 074 visites aux urgences pour une suspicion d’ICE (enfants de moins de 6 ans)2 .
Les ingestions d’aimants et de piles boutons présentent un intérêt clinique particulier. L’incidence des ingestions d’aimants par des enfants a augmenté au cours des dernières décennies, avec une multiplication par huit des visites aux urgences aux États-Unis entre 2002 et 2011 (de 0,45/100 000 à 3,75/100 000), comme le rapporte le National Electronic Injury Surveillance System3. Quant aux ingestions de piles boutons, le taux rapporté par le National Poison Data System est resté stable entre 1985 et 2009 dans la population américaine (taux variant entre 6,3 et 15,1 par million d’habitants par année)4 . Cependant, la proportion de cas présentant des complications importantes et des décès est passée de 0,066 % en 1985-1987 à 0,443 % en 2007-2009, soit une multiplication par 6,75. Au cours de cette période, 68,1 % des ingestions concernaient des enfants de moins de 6 ans et 20,3 %, des enfants âgés de 6 à 19 ans. Les cas les plus graves ont été observés principalement chez les enfants âgés de moins de quatre ans. Cette augmentation de la morbidité et de la mortalité est attribuée à l’introduction simultanée et à la popularité croissante dans les foyers des piles boutons au lithium de 20 mm5. En 2020, 6 décès ont été rapportés après ingestion de piles, dont 4 au lithium, et 319 complications modérées à graves1 .
L’incidence croissante et les présentations cliniques subtiles des corps étrangers en font une menace importante pour les enfants. Bien que la plupart des ingestions surviennent à domicile (97,2 % des cas), la présence de témoins n’est notée que dans 58,7 % des cas2. L’absence de témoins lors de l’ingestion est associée à un retard important dans la prise en charge et donc à une augmentation du risque d’événements indésirables.
Depuis le début de la pandémie, on note une augmentation du nombre d’ingestions de corps étrangers rapportées dans différentes séries à travers le monde en lien avec une augmentation du temps passé à domicile lors des périodes de confinement.
Dans un travail mené au CHU SainteJustine, nous avons identifié, entre mars 2018 et février 2021, 609 patients (âge médian de 3,5 ans (1,6-5,9); 54 % de garçons) ayant ingéré un CE. Le nombre mensuel moyen de cas de CE (min-max) en 20202021 était de 18,6 (9-28), significativement plus élevé que l’année 2018 [16,6 (8-22)] et l’année 2019 [15,5 (9-24)]; p=0,04. Le taux d’incidence d’ICE a doublé pendant la pandémie par rapport au groupe prépandémique: respectivement 57,5/10 000 passages aux urgences et 23,2/10 000 passages (p=0,002)6 .
D’autres auteurs ont rapporté la même tendance, notamment Ferro et coll. en Italie qui a rapporté une augmentation de l’incidence de consultations aux urgences pour ICE chez les enfants admis dans un centre tertiaire (de 87/1000 en prépandémie à 272/1000 pendant la période de confinement)7. Au Japon, Maruo et coll. ont également publié une étude soulignant que bien que le nombre d’hospitalisations en pédiatrie (toutes causes confondues) eût diminué pendant la pandémie en 2020 par rapport à 2017-2019, une augmentation significative du nombre d’hospitalisations pour ICE était observée8 .

Signes cliniques et diagnostic
Les circonstances de l’ingestion, l’heure exacte et la nature des objets ingérés sont trois éléments cruciaux à recueillir lors de l’anamnèse initiale.
Selon la nature et la localisation dans le tractus digestif des objets avalés, les enfants peuvent être symptomatiques ou non. Dans notre cohorte 2018-2021, 40 % étaient complètement asymptomatiques lors du diagnostic et c’est la présence d’un témoin qui a conduit à la consultation médicale7. Des chercheurs de l’Université de Chiang Mai ont constaté que seulement 55,7 % des 194 cas présentaient des symptômes cliniques, le symptôme le plus courant étant les vomissements dans leur cohorte9. D’autres signes cliniques plus rares peuvent être observés, notamment la dysphagie, la fièvre, la toux hypersialorrhée10 . Au Québec, dans la cohorte du CHU Sainte-Justine, les cinq symptômes les plus fréquents étaient: douleurs abdominales (21 %), vomissements (17 %), toux (14 %), dysphagie (10 %) et hypersalivation (7 %).
Le diagnostic repose parfois sur une histoire clinique, notamment des parents ou des proches qui ont observé l’enfant mettre un objet à la bouche. En effet, une étude portant sur 543 cas d’ICE pédiatriques a montré que seuls 23 % des cas ont eu lieu en présence d’un témoin11. Dans notre série, 78 % des ingestions se sont produites à domicile et en présence d’un témoin dans seulement 22,5 % des cas.
Il arrive régulièrement que la découverte soit fortuite devant un enfant qui consulte pour des signes cliniques non spécifiques tels que dysphagie, toux, fièvre.
Un examen soigneux de la cavité buccale, un examen clinique cardiaque et respiratoire ainsi qu’abdominal permettront d’évaluer le stade de gravité et le degré d’urgence dans la prise en charge.
La première étape dans le diagnostic est la réalisation de radiographies qui idéalement devraient inclure le cou, le thorax et l’abdomen et comporter des clichés de face et de profil afin de bien localiser le corps étranger.
Néanmoins, ce ne sont que les corps étrangers radio-opaques qui sont accessibles à la radiographie (voir figure 2). D’autres examens tels que le repas baryté ou l’échographie ne sont pas en pratique nécessaires.
Dans la vaste étude américaine incluant 759 074 patients, les objets les plus fréquemment ingérés étaient les pièces de monnaie (61,7 %), suivis des jouets (10,3 %), des bijoux (7 %) et des piles (6,8 %)2 .
Dans notre cohorte, les objets les plus souvent ingérés étaient les pièces de monnaie (n=153 ; 25 % des cas), puis les jouets (n=69 ; 10,8 %), les piles boutons (n=69 ; 10,8 %), les bijoux (n=39 ; 6,2 %), les aimants (n=38 ; 6,2 %) et divers autres objets : clous, vis, roches, etc. (n=251)6 .
Complications
Bien que la majorité des CE traversent le tractus gastro-intestinal sans trop de conséquences, une morbidité et une mortalité importantes sont associées à l’ingestion de piles boutons et d’aimants multiples.
Dans le cas des aimants multiples, les complications proviennent de l’attraction entre les aimants et potentiellement d’autres objets métalliques à travers les tissus intestinaux. Cela peut entraîner des nécroses de pression, des obstructions, des fistules et des perforations digestives. Dans de rares cas, cela peut conduire à la mort. Les aimants à base de terre rare (ou néodyme) sont particulièrement associés aux complications; ils ont un pouvoir d’attraction plus de cinq fois supérieur à celui des aimants traditionnels9 .
Les piles boutons représentent un danger important pour les enfants en raison de leur accessibilité et leur attractivité. Lors de leur progression dans l’œsophage, elles peuvent rester coincées et s’immobiliser pendant de longues heures. La tension électrique générée par le contact des deux pôles de la pile avec la muqueuse ainsi que l’environnement alcalin du pôle négatif provoquent une nécrose et une liquéfaction des tissus. Le pôle négatif des piles est le plus associé aux lésions nécrotiques. Cela peut conduire à une perforation œsophagienne, une fistule œsoptrachéale, une paralysie des cordes vocales, une hémorragie massive par fistule aorto-œsophagienne, une insuffisance respiratoire ou une septicémie, un arrêt cardiorespiratoire et le décès14. En effet, les données de la National Battery Ingestion Hotline aux États-Unis ont montré qu’entre 2000 et 2009, 92,1 % des complications ou des décès consécutifs à l’ingestion de piles étaient associés aux piles au lithium de 20 mm5. Cela est dû à leur tension supérieure (3,0 V contre 1,5 V pour les anciennes piles boutons)5 ainsi qu’à leur grande taille, qui empêche la progression aisée dans l’œsophage4 .
Dans la cohorte du CHU Sainte-Justine, près du quart des enfants ont été hospitalisés, la plupart du temps en hospitalisation de moins de 24 heures pour une endoscopie et une surveillance. Le taux d’hospitalisation d’une durée supérieure à 24 heures était similaire entre les deux périodes: 8,8 % avant la pandémie et 7,1 % pendant la pandémie. Une endoscopie digestive a été réalisée dans 21,5 % des cas, un taux similaire avant et pendant la pandémie. Au total, 3,3 % des enfants ont développé des complications liées aux objets ingérés (ulcères, hémorragies, sténoses). Ce taux est resté stable pour les deux périodes6 .
Facteurs de risque
La grande majorité des enfants qui ingèrent des corps étrangers digestifs sont en bonne santé. L’âge représente le facteur de risque principal. En effet, la plupart des enfants ont moins de cinq ans lors de l’ingestion. En ce qui concerne le sexe, les études démontrent une légère prédominance de garçons par rapport aux filles; >
2EXEMPLE DE CORPS
ÉTRANGERS RADIO-OPAQUES

de plus, la nature des corps étrangers ingérés varie légèrement selon le sexe.
Les enfants avec des troubles neurologiques sont sujets à des récidives d’ingestion. La prévalence de récidive était de 3 % dans la cohorte du CHU Sainte-Justine6 .
Les facteurs de risque de complications sont liés à la fois à la nature du corps étranger ingéré, au délai entre l’ingestion et le retrait, à l’existence d’une maladie sous-jacente, notamment des problèmes de dysmotricité œsophagienne/intestinale ou à des antécédents chirurgicaux digestifs qui entraînent un séjour prolongé du CE au contact de la muqueuse.
Concernant la nature des objets ingérés, plusieurs éléments doivent être pris en compte: le type d’objet (aimant, pile, métal), la longueur, le caractère tranchant ou pointu et le nombre d’objets ingérés.
Prise en charge selon la nature du CE
La prise en charge dépend principalement de trois facteurs: la nature du corps étranger, la localisation et le délai écoulé avant la première visite médicale.
L’œsophage représente un des sites anatomiques les plus à risque en raison de la faible épaisseur de la paroi et la proximité avec des vaisseaux thoraciques.
Le retrait endoscopique des corps étrangers œsophagiens doit être réalisé rapidement. Cette procédure endoscopique doit être effectuée dans un centre spécialisé pour la prise en charge des enfants et le geste technique peut être fait par un médecin ORL ou gastroentérologue selon la localisation du CE.
Pour ce qui est des autres sites, les risques dépendent essentiellement de la nature des objets comme nous le verrons ci-dessous.
La majorité des cas d’ICE se résolvent par un passage spontané, mais certains objets nécessitent une exérèse endoscopique ou, rarement, chirurgicale9. Le retrait endoscopique ou chirurgical est recommandé pour l’ingestion d’aimants multiples12 et de piles boutons; pour ces dernières, un retrait immédiat (inférieur à deux heures) est nécessaire lorsque la pile est logée dans l’œsophage13 .
Les piles boutons
Il s’agit de la catégorie d’objets la plus dangereuse en raison du mécanisme d’action associé à la possibilité de brûlures et de nécrose au niveau des muqueuses.
Lorsque l’heure de l’ingestion est connue avec exactitude, datant de moins de 12 heures et que l’enfant est âgé de plus d’un an, l’administration de miel à la dose de 10 mL (soit
3PILE BOUTON VERSUS PIÈCE DE MONNAIE
Pile bouton Pièce de monnaie
deux cuillères à thé) toutes les dix minutes permettra de diminuer les risques de complications locales sur la muqueuse.
Les enfants âgés de moins de 12 mois ne devraient pas recevoir de miel en raison du risque de botulisme. Cette administration est également contre-indiquée lorsque le délai d’ingestion est supérieur à 12 heures, car le risque de perforation est très élevé.
Cette approche basée sur des études animales ou chez des cadavres a été récemment avalisée par la Société européenne de gastroentérologie, hépatologie et nutrition pédiatriques (ESPGHAN)10 .
Dans tous les cas, l’urgence réside surtout dans le temps écoulé entre l’ingestion et le retrait du CE. L’administration de miel ne devrait pas freiner le délai de consultation auprès de centres spécialisés qui devraient effectuer le retrait dans un délai idéalement de moins de deux heures depuis l’ingestion.
Si la pile est dans l’œsophage: l’endoscopie permet de localiser le corps étranger et de faire un retrait prudent, car le risque de perforation est élevé surtout lorsque l’ingestion date de plusieurs heures. Dans certaines situations, il est possible de réaliser au préalable une tomodensitométrie pour permettre de voir la profondeur des dégâts et les rapports anatomiques entre la pile et les vaisseaux médiastinaux.

4
DIMENSION DES PIÈCES DE MONNAIE CANADIENNES

Pièce de monnaie Diamètre (cm)
1 ¢
5 ¢ 1,6
2,1
10 ¢
25 ¢
1 $ 1,8
2,4
2,7
Dans certaines situations, une approche multispécialiste lors du retrait est nécessaire, incluant: gastroentérologue, médecin ORL et chirurgien vasculaire afin d’optimiser les chances du succès et de minimiser les risques de décès pendant la procédure.
Si la pile est dans l’estomac et que l’enfant est asymptomatique, selon les lignes directrices de l’ESPGHAN, une attitude observationnelle peut être réalisée avec un contrôle de radiographie dans un délai de 7 à 14 jours. Cependant, si on n’a pas de certitude sur l’heure exacte de l’ingestion ou si l’enfant présente des signes cliniques liés à l’ingestion, l’endoscopie digestive avec retrait du CE permettra aussi d’identifier d’éventuelles lésions de la muqueuse œsophagienne créées lors du passage de la pile.
Si la pile est dans l’intestin grêle et que l’enfant est asymptomatique, une surveillance des symptômes et des selles à domicile par les parents est suffisante.
En l’absence de témoins, le grand défi devant un enfant présentant un objet arrondi sur la radiographie thoracique est de distinguer une pièce de monnaie d’une pile bouton.
La figure 3 montre les nuances de présentation entre les deux types d’objets. Sur une vue frontale, les pièces de monnaie présentent un simple contour contrairement aux piles boutons qui ont un double contour. Sur la vue de profil, les pièces de monnaie ont un aspect biconvexe alors que les piles boutons ont une face plate et une autre légèrement convexe. Dans le cas des piles très fines, ces particularités radiologiques peuvent être moins évidentes.
5INGESTION D'AIMANTS
MULTIPLES 6 LONGUE VIS DE 5 CM DANS
L’ANTRE INGÉRÉE PAR UN
GARÇON DE 5 ANS

Les pièces de monnaie
L’ingestion de pièces de monnaie représente un motif fréquent de consultation pour ICE digestif: de 20 à 25 % du nombre total d’ingestions. Le risque réside essentiellement sur la taille des pièces ingérées en rapport avec l’âge de l’enfant. Ces pièces peuvent rester bloquées au niveau de l’œsophage pendant plusieurs jours en l’absence de témoin. Dans la grande majorité des cas, les enfants ayant ingéré des pièces de monnaie se présentent avec une pièce logée dans le tiers supérieur de l’œsophage. Dans les autres cas, la pièce est dans l’œsophage moyen ou inférieur à hauteur du cardia ou au niveau du pylore. Le tableau 4 permet d’avoir à disposition les dimensions des différentes pièces de monnaie canadiennes.
Si la pièce de monnaie est dans l’œso-
phage: l’endoscopie rigide par un médecin ORL ou l’endoscopie souple par un gastroentérologue permet de localiser le corps étranger et de faire le retrait dans un délai de 12 à 24 heures.
En dehors de la localisation œsopha-
gienne, il n’y a pas d’indication de retrait de ces pièces de monnaie sauf si l’enfant est symptomatique dans une localisation gastrique (pièce bloquée au niveau du pylore). Une attitude observationnelle avec examen des selles par les parents et réalisation d’une radiographie de contrôle dans un délai de deux à quatre semaines peut permettre d’éviter des endoscopies dans la grande majorité des cas.
Les aimants
L’ingestion d’aimants tire sa gravité dans la nature et le nombre d’objets ingérés. Les aimants de jouets ou de réfrigérateurs lorsqu’ils sont ingérés de façon isolée ne représentent pas un risque majeur. Toutefois, lorsque les aimants sont ingérés en grande quantité (≥ 2) ou que les aimants sont fabriqués à partir de terres rares (néodyme) leur puissance d’attraction très élevée entraîne un risque de sténose et de nécrose intestinale majeur.
Dans ces situations, leur retrait s’impose lorsqu’ils se trouvent dans l’œsophage ou dans l’estomac. Si le corps étranger est déjà dans l’intestin grêle, un retour à domicile avec surveillance parentale est possible. Il faut néanmoins rester vigilant devant des symptômes tels les vomissements qui seraient le signe d’une sténose liée à une compression de l’intestin grêle (figure 5).
Les bijoux
Les bijoux sont une catégorie de corps étrangers fréquemment ingérés par les enfants, en particulier les barrettes pour cheveux et les boucles d’oreilles. La plupart du temps, ces objets ne sont pas très dangereux, mais quelques-uns en raison de leur caractère tranchant ou pointu peuvent entraîner des lésions sur la muqueuse et justifier un retrait lorsque le siège est dans l’œsophage ou dans l’estomac.
D’autres objets
De multiples autres objets peuvent être ingérés par les enfants: des roches, des billes, des clous, des vis, des punaises de bureau, des morceaux de verre, du métal et autres objets pointus ou arrondis. La conduite à tenir pour les objets métalliques est le

retraitlorsqu’ils restent logés sans progression dans l’œsophage depuis plusieurs heures ou s’ils sont tranchants ou pointus. Dans la localisation gastrique, le caractère tranchant ou pointu et la grande taille (plus de 4 cm) sont aussi des facteurs conduisant au retrait endoscopique. L’exemple d’une longue vis visualisée dans l’antre gastrique lors de l’endoscopie est présenté à la figure 6 (voir page 51).
La clé, c’est la prévention
La prévention de l’ingestion de corps étrangers en pédiatrie repose sur la législation et les campagnes d’information auprès de la population générale. L’efficacité de la prévention par les rappels de produits a été démontrée lors du rappel en 2013 de jouets aimantés au néodyme par Santé Canada. En effet, dans une étude rétrospective réalisée au Canada en 2017, les auteurs ont rapporté une diminution significative des ingestions d’aimants et des ingestions multiples d’aimants après le rappel. De plus, la morbidité associée aux ingestions d’aimants en pédiatrie a également diminué11 .
Parmi les autres législations qui peuvent potentiellement diminuer l’incidence et la gravité des corps étrangers ingérés en pédiatrie, citons la Consumer Product Safety Improvement Act (CPSIA) de 2008 de la Commission américaine de sécurité des produits de consommation (CPSC), qui oblige les fabricants à installer un système sécurisé (exemple avec vis) dans les compartiments des jouets commercialisés pour les enfants de moins de trois ans12. Pour le même groupe d’âge, les jouets pouvant entrer dans un cylindre de test d’étouffement (2,25 pouces [6,35 cm] de long par 1,25 pouce [3,81 cm] de large) ont été interdits13. De même, la réglementation proposée par la CPSC pour les aimants puissants comprend une restriction d’âge pour l’utilisation, ainsi que des exigences en matière d’avertissement et d’instruction. En plus de retirer les produits dangereux du marché, il est recommandé aux personnes s’occupant d’enfants d’être vigilantes et de garder hors de portée des enfants les objets potentiellement ingérables. Il est important de sensibiliser les soignants et le personnel de santé aux dangers des corps étrangers ingérés en pédiatrie, étant donné les présentations cliniques non spécifiques. Un travail de sensibilisation régulier auprès des familles reste nécessaire afin de former et d’informer les parents sur ces risques parfois méconnus. À ce titre, nous devons féliciter le travail effectué par Mieux vivre et Grandir en santé dans leurs guides à destination des familles. n
1. Gummin DD, Mowry JB, Beuhler MC, Spyker DA, Bronstein AC, Rivers LJ, et coll. 2020 Annual Report of the American
Association of Poison Control Centers’ National Poison Data System (NPDS): 38th Annual Report. Clin Toxicol (Phila). 2021;59(12):1282-501. 2. Orsagh-Yentis D, McAdams RJ, Roberts KJ, McKenzie LB. Foreign-Body Ingestions of Young Children Treated in US
Emergency Departments: 1995-2015. Pediatrics. 2019;143(5). 3. Abbas MI, Oliva-Hemker M, Choi J, Lustik M, Gilger MA, Noel RA, et coll. Magnet ingestions in children presenting to US emergency departments, 2002-2011. J Pediatr Gastroenterol Nutr. 2013;57(1):18-22. 4. Litovitz T, Whitaker N, Clark L. Preventing battery ingestions: an analysis of 8648 cases. Pediatrics. 2010;125(6):1178-83. 5. Litovitz T, Whitaker N, Clark L, White NC, Marsolek M. Emerging battery-ingestion hazard: clinical implications.
Pediatrics. 2010;125(6):1168-77. 6. Zhao Y, Dehbidi Assadzadeh L, Gallant A, Gorenko-Lévêque S, Chekkal A, Djoukam Mbuko B, et coll. A22 Impact of
COVID-19 pandemic on foreign body ingestion in children and adolescents: a cross-sectional study. Journal of the Canadian
Association of Gastroenterology. 2022;5(Supplement_1):25-6. 7. Ferro V, Nacca R, Pisani M, Cristaldi S, Faa MF, Supino MC, et coll. Children at risk of domestic accidents when are locked up at home: the other side of COVID-19 outbreak lockdown. Ital J Pediatr. 2022;48(1):129. 8. Maruo Y, Ishikawa S, Oura K, Shiraishi H, Sato N, Suganuma T, Mikawa M, et Sato (2022). The impact of the coronavirus disease 2019 pandemic on pediatric hospitalization in Kitami, Japan. Pediatr Int, 64(1), e14937. 9. Alfonzo MJ, Baum CR. Magnetic Foreign Body Ingestions. Pediatr Emerg Care. 2016;32(10):698-702. 10.Mubarak A, Benninga MA, Broekaert I, Dolinsek J, Homan M, Mas E, et coll. Diagnosis, management, and prevention of button battery ingestion in childhood: a European Society for Paediatric Gastroenterology Hepatology and Nutrition position paper. Journal of Pediatric Gastroenterology and Nutrition. 2021;73(1):129-36. 11. Rosenfield D, Strickland M, Hepburn CM. After the Recall: Reexamining Multiple Magnet Ingestion at a Large Pediatric
Hospital. J Pediatr. 2017;186:78-81. 12.Act CPSI. Accessed 2022-08-05. 13.UCPS C. Small Parts for Toys and Children’s Products Business Guidance. Accessed 2022-08-05.
EXERCICE DE RÉFLEXION
Vous pouvez valider vos réponses en accédant à la version en ligne de cet article sur eCortex.ca.
1. Parmi les objets suivants, lequel est le plus souvent ingéré par les enfants?
A. Pile bouton B. Bille C. Barrette D. Aimant E. Pièce de monnaie
2. En cas d’ingestion de pile bouton, le miel est recommandé chez les enfants lorsque l’ingestion date de moins de 12 heures quel que soit l’âge.
A. Vrai B. Faux
3. L’ingestion de corps étrangers lorsqu’ils ont déjà traversé l’estomac ne peut pas donner de complications.
A. Vrai B. Faux






