The Forest Image October 2023

Page 1

October 2023
Houston Dental Implants Family Dentistry, Oral Surgery & Periodontics DR. HOLLY J. GREGORY dentalimplantshoustontx.com New Teeth In One Day A state-of-the-art technique performed by Dr. Gregory Page 26 The Good News From the Forest
Kingwood, Humble, Atascocita, Huffman and Porter
Ghoulishly Good Care, Treating Every Boo-Boo with Spooky Expertise! WE TREAT KIDS & ADULTS Elitekingwood.com | 832-777-6165 | Kingwood Dr @ 59 N.

Lodestar Relationship Marketing and Publications, LLC

The Forest Image 2820 Chestnut Ridge Drive

Kingwood, Texas 77339 Cell: 281-381-0912

PUBLISHER/MANAGING EDITOR

Mike Netek EDITOR

Pat Guard

DIRECTOR OF SALES & MARKETING

Layna Netek

PHOTOGRAPHY

Pat Guard

Cara Williams

CONTENT SUPERVISOR

Mike Netek

DIRECTOR OF TECHNOLOGY

Taylor Netek

GRAPHIC DESIGNER

Kelly Thomas EDITORIAL

Brooke Baugh

Claire Brown

Lauren Cash

Dr. Holly Gregory

Sarah Morrow Rotthier

Kelly Thomas Family

theconversation.com

Table of Contents 31Tricks & Treats “Estate” Planning for College Students and Other Young Adults A family October Guide Hubbard + Rotthier Attorneys at Law The Pink Raises Money for Project Mammogram by Brooke Baugh October is Breast Cancer Awareness Month Knowledge, Prevention, and Empowerment Community Calendar October 2023 The Village Center’s Enchanted Forest Gala by Claire Brown Understanding ‘Warning Strokes’ What to expect if you experience symptoms New Teeth in One Day
Holly J. Gregory, Houston Dental Implants The Beautiful Pessimism at the Heart of Jimmy Buffett’s Music by Drew M. Dalton, www.theconersation.com Advertisers Map October 2023 6 8 12 13 18 23 25 26 33 34
Dr.
VOL 7 Number 10 - October 2023
CONTRIBUTERS
Features
October 2023 Kingwood, Humble, Atascocita, Huffman and Porter Houston Dental Implants Family Dentistry, Oral Surgery & Periodontics DR. HOLLY J. GREGORY dentalimplantshoustontx.com New Teeth In One Day A state-of-the-art technique performed by Dr. Gregory Page 26 The Good News From the Forest 6 Tips to Get Sleep Back On Track Resetting Routines and Adjusting 22 Kickoff Cravings Tailgate with MVP level appetizers 14

“Estate” Planning for College Students and Other Young Adults

Even though the weather doesn’t really feel like it, we are officially in fall and school is fully underway. Last month on social media, I saw a lot of posts from friends with older children who sent their adult teenagers off to college. For those of you who are parents to children in their late teens or early twenties, you now have a full-fledge “adult” with all the legal rights that adulthood entails, which means you, as the parent, have lost most of your legal rights over them. During this transition into adulthood, many children continue to rely on their parents for advice and decision-making, and many parents want to continue helping their children.

Below are some documents you may want to encourage your children to consider executing, documents that can help them and you avoid unnecessary stress, delay and potentially expense should unexpected (and sometimes expected) situations arise early in their adulthood:

1. Medical Power of Attorney (POA). While we typically think about our elderly loved ones executing a medical POA in the event they lose their ability to make medical decisions for themselves, occasionally our young adult children face unexpected medical issues through car accidents or other medical events. A medical POA allows you to make medical decisions in the event your child is unable to make their own medical decisions.

2. HIPAA Release and Authorization. Medical providers are required by law to take patient privacy very seriously (as they should), so if your child relies on you to help them manage their healthcare, doctors, and insurance, it would be reasonable for them to consider giving you a HIPAA Release and Authorization as well. This can be built into a medical POA or it can be a

standalone document. Either way, it can make your ability to help them seamless, even in non- emergency situations when having the blanket HIPAA release can be used with all their healthcare providers and professionals rather than having your child sign a release with each medical provider or entity each time it is needed. If you and your young adult child like the idea of getting some of these documents in place but do not want to expend funds on a lawyer to talk through them with you, you can find some forms online. For example, Texas’ Health and Human Services website provides a medical POA form online.

Other Legal Documents to Consider. Does an 18-year-old really need a Financial POA or a Last Will and Testament? In most cases, the answer is “no.” However, there are some circumstances in which these documents may be necessary. While most young adults have relatively little in terms of assets, having a financial POA would enable their agent to handle money matters such as paying bills or managing other financial and legal matters if the young adult child is in a car accident or has some other medical emergency. Similarly, if your child comes into an inheritance at an early age or starts working a job that pays relatively well and they start accumulating assets or contributing to an IRA or 401(k), it wouldn’t hurt for them to visit with an estate planning lawyer and a financial advisor to start thinking about and smartly planning for their future. For documents related to the handling of one’s property interests, I generally recommend consulting with an attorney.

The information provided in this article is general and not designed or intended to be exhaustive or case specific, and it should not be considered or used as legal advice. If you have questions regarding this article or other matters, contact Hubbard & Rotthier, Attorneys at Law at 281-358-7035. You can also visit their website at www.hubbardrotthierlaw.com.

The Forest Image - September 2023 Page 11 Page 10 - forestimage.com
The Forest Image - September 2023 Page 12

October is Breast Cancer Awareness Month

October is Breast Cancer Awareness Month

Knowing Your Risk: A Life-Saving Endeavor

Knowledge, Prevention, and Empowerment

1 in 8 women will face a breast cancer diagnosis in her lifetime. That’s one every 2 minutes in our nation.

Knowledge, Prevention, and Empowerment

1 in 8 women will face a breast cancer diagnosis in her lifetime. That’s one every 2 minutes in our nation.

Every October, for almost four decades now, our nation has come together to illuminate the significance of National Breast Cancer Awareness Month. This isn’t just a month of pink ribbons; it’s an essential time of year devoted to educating our community about all forms of breast cancer.

Every October, for almost four decades now, our nation has come together to illuminate the significance of National Breast Cancer Awareness Month. This isn’t just a month of pink ribbons; it’s an essential time of year devoted to educating our community about all forms of breast cancer.

No matter who you are or where you reside, breast cancer could find its way into your life. Understanding its warning signs and ensuring timely detection and care are crucial. The stakes are high: 1 in 8 women will be diagnosed with breast cancer during her lifetime. That’s a staggering one person every two minutes in the U.S. What could possibly put you at risk? Well, the most common risk factors are deceptively simple: being female and aging. This highlights the crucial importance of not just awareness but action.

No matter who you are or where you reside, breast cancer could find its way into your life. Understanding its warning signs and ensuring timely detection and care are crucial. The stakes are high: 1 in 8 women will be diagnosed with breast cancer during her lifetime. That’s a staggering one person every two minutes in the U.S. What could possibly put you at risk? Well, the most common risk factors are deceptively simple: being female and aging. This highlights the crucial importance of not just awareness but action.

In the spirit of October, and every other month of the year, let’s pledge to remain vigilant, prioritize our health, and encourage our loved ones to do the same. Together, we can make a difference.

In the spirit of October, and every other month of the year, let’s pledge to remain vigilant, prioritize our health, and encourage our loved ones to do the same. Together, we can make a difference.

The power of early detection can’t be stressed enough. For those with an average risk profile, the recommendation is a mammogram every year starting at 40. Detecting any signs of breast cancer at its inception and seeking timely treatment can literally be the difference between life and death.

The power of early detection can’t be stressed enough. For those with an average risk profile, the recommendation is a mammogram every year starting at 40. Detecting any signs of breast cancer at its inception and seeking timely treatment can literally be the difference between life and death.

Your family history can be a beacon in understanding your risk. Discussing your family’s medical history with a doctor can be life-saving. Together, with this knowledge, you and your healthcare provider can formulate a vigilant plan to watch for early indicators.

Your family history can be a beacon in understanding your risk. Discussing your family’s medical history with a doctor can be life-saving. Together, with this knowledge, you and your healthcare provider can formulate a vigilant plan to watch for early indicators.

Early Screening: A Beacon of Hope

Early Screening: A Beacon of Hope

The power of early detection can’t be stressed enough. For those with an average risk profile, the recommendation is a mammogram every year starting at Detecting any signs of breast cancer at inception and seeking timely treatment can literally be the difference between and death.

Understanding Your Normal

The power of early detection can’t be stressed enough. For those with an average risk profile, the recommendation is a mammogram every year starting at 40. Detecting any signs of breast cancer at its inception and seeking timely treatment can literally be the difference between life and death.

Understanding Your Normal

Each individual has their unique baseline. Recognizing what’s normal for you makes all the difference when you notice something amiss. It’s imperative to maintain open communication with your healthcare provider and promptly address any changes.

Time for Action

Each individual has their unique baseline. Recognizing what’s normal for you makes all the difference when you notice something amiss. It’s imperative to maintain open communication with your healthcare provider and promptly address any changes.

Time for Action

Breast Cancer Awareness Month isn’t just about passive acknowledgment. It’s a call to action, a plea for understanding, and challenge to prevent. Each of us should only arm ourselves with knowledge but also make health-conscious decisions daily.

Breast Cancer Awareness Month isn’t just about passive acknowledgment. It’s a call to action, a plea for understanding, and a challenge to prevent. Each of us should not only arm ourselves with knowledge but to also make health-conscious decisions daily.

Knowing Your Risk: A Life-Saving Endeavor
October 2023 - Page 13

Kickoff Cravings

Win your tailgate with MVP-level appetizers by Family Features

Before the end zone dances and sideline celebrations, settling in for a winning game day experience starts with delicious foods. Whether your football parties take place at home, in the backyard or right outside the stadium, kicking it off with savory appetizers can get the crowd on its feet.

Keep your game plan simple this season and light up the scoreboard with fan favorites like dips and wings. These versions are both easy to prepare and can be enjoyed fresh or made in advance and kept warm or reheated to energize your fellow diehards. Visit Culinary.net to find more touchdown-worthy tailgate recipes.

Add Savory Spice to Game Day Celebrations

Powering up for a successful game day starts with a pregame spread, and no tailgate or homegate is complete without a spicy dip that brings the heat.

This Game Day Buffalo Chicken Dip is a perfect solution for firing up your crowd as it requires little preparation so you save precious time before kickoff. Whether you bake shortly before the game begins or make it ahead of time for a parking lot party, simply keep it warm and serve with chips or veggie sticks for a quick, shareable appetizer.

Game Day Buffalo Chicken Dip

Servings: 3-4

2 cups shredded chicken

8 ounces cream cheese

1/2 cup sour cream

1 1/2 cups sharp cheddar cheese, plus additional for topping, divided

1/2 teaspoon onion powder

1/2 teaspoon garlic powder

1 heavy pinch dried dill

1/2 cup hot sauce

2 green onions, chopped

blue cheese crumbles

chips

vegetable sticks

Heat oven to 400 F.

In bowl, mix shredded chicken, cream cheese, sour cream, 1 1/2 cups shredded cheese, onion powder, garlic powder and dried dill until combined. Add hot sauce; mix until combined.

Transfer mixture from bowl to oven-safe dish. Top with additional shredded cheese, to taste.

Bake until cheese is melted, approximately 15 minutes. Top with blue cheese crumbles and chopped green onion. Serve warm with chips and vegetable sticks.

Just Wing It

Skip the silverware at your next homegate and dive right in with a fan favorite that requires just your hands and a heap of napkins: wings.

Whether you pick through your pieces or clean each wing to the bone, these Game Day Chicken Wings are perfect for eaters of all types. A simple flour-based coating keeps the recipe easy to make and baking in the oven means you can skip the messy fryer or firing up the grill.

Cook until crispy then corral your party’s favorite dipping sauces from ranch and blue cheese to barbecue and more. Once your spread is served, it’s time to sit back and enjoy the game.

Game Day Chicken Wings

Servings: 4

1/2 cup butter, cubed

1/3 cup flour

2 teaspoons paprika

1 teaspoon garlic powder

1 teaspoon salt

1 teaspoon black pepper

10 chicken wingettes, thawed dipping sauces (optional) fresh parsley (optional)

Preheat oven to 425 F.

Line baking sheet with foil. Arrange butter cubes on foil.

In medium bowl, combine flour, paprika, garlic powder, salt and pepper.Coat both sides of wings in flour mixture then evenly space among butter cubes on baking sheet.

Bake wings 30 minutes. Turn wings over and bake 15 minutes, or until crispy and fully cooked. Serve with dipping sauces and sprinkle with fresh parsley, if desired.

Page 14 - forestimage.com

Score a Touchdown with a Game Day Dip

One of the best ways to take tailgating to the next level this season is by making healthier versions of classic game day fare. For example, you can be the MVP of your game day gathering with a delicious, hall-of-fame-worthy appetizer. Call an audible by using fresh, easy and healthy ingredients to make it better for you and score extra points with family and friends.

This Game Day Taco Dip takes fan-favorite flavors - beef, refried beans, salsa, guacamole, sour cream, cheese, tomatoes and black olives - and adds a twist with the Fresh Express Butter Supreme Salad kit. This tasty, colorful blend of green butter lettuce, red butter lettuce, radicchio and baby chard is available in the refrigerated produce department and is perfect for creating healthier versions of beloved tailgating dips, snacks, finger foods and more. Visit FreshExpress.com to discover more winning game day recipe ideas and find a retailer near you.

Game Day Taco Dip

Servings: 12

1 pound ground beef

1 package (1 ounce) taco seasoning

1/4 cup water

2 tablespoons minced cilantro

1 can (16 ounces) refried beans, zesty salsa flavor

1 jar (16 ounces) thick and chunky salsa, medium or hot

2 cups guacamole

1/2 cup sour cream

3 packages (5 ounces each) Fresh Express Butter Supreme

1 1/2 cups shredded sharp cheddar cheese

1 cup tomatoes, chopped

1 can (2 1/4 ounces) sliced black olives, drained

1 package (14 ounces) tortilla chips

In skillet over medium-high heat, cook beef 5 minutes, or until no longer pink. Sprinkle with taco seasoning; mix well. Add water; cook 2 minutes, or until water is absorbed. Transfer to bowl; cool to room temperature. Add cilantro; mix well.

In 9-inch pie plate, evenly spread refried beans; top with seasoned ground beef and salsa. Add spoonfuls of guacamole across top of salsa then carefully spread to smooth.

Place sour cream in small resealable bag; cut off corner. Pipe sour cream to create football shape on guacamole.

Put pie plate in center of 15-by-18-inch tray. Arrange salad blend around pie plate. Top with cheddar cheese, tomatoes and olives. Serve with tortilla chips.

Page 17

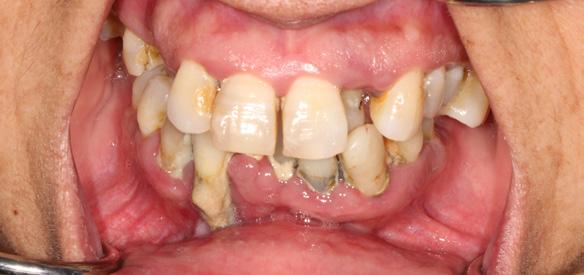
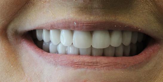
New Teeth In One Day, A state-of-the-art technique performed by Dr. Gregory

Do you ever catch yourself missing the familiar comfort of your own teeth? Frustrated with dentures that just don’t look or feel right? Or maybe, the mere thought of dentures has kept you from seeking treatment, fearing a life without the authenticity of your natural smile?

Welcome to Dr. Gregory’s “Teeth In One Day” solution – a transformative experience tailored just for you. This isn’t about just replacing teeth; it’s about reviving the confidence of your natural smile.

Imagine walking into Dr. Gregory’s cozy office, where you’re gently sedated for a worry-free procedure. Once you’re comfortably at ease, we replace any existing teeth with 4 to 6 state-of-the-art dental implants, precisely set into your jawbone. But here’s where the magic truly happens: a set of teeth, custom-

crafted uniquely for you, is secured onto these implants. This isn’t a temporary fix. These teeth will not only look, feel, and function like your natural teeth, but they’ll also stay with you, day in and day out – no nightly removals, no adjustments. Simply a new, permanent smile that’s unmistakably yours.

Why choose Dr. Gregory’s Teeth In One Day?

Commitment Beyond Procedures: We provide a lifetime of follow up care and personal accountability for our work. We won’t refer you out of our practice after your surgery is complete. We see you at least once a year to check our work and evaluate the health, function, and esthetic of your implants and your new teeth. You become part of our patient family.

Double the Care, Double the Quality: We provide you with two full sets of new teeth. Other practices frequently offer only one set of all-plastic (acrylic) teeth the day of surgery. We believe it is not acceptable to deliver an allplastic set of teeth as a final solution (plastic is porous and grows bacteria and fungus, is rough and difficult to clean). We provide an additional final set of teeth made of titanium with esthetic overlay or made of zirconia (ceramic). These materials are appropriate to protect the implants from infection and to provide a durable chewing solution and a beautiful long term result.

Unwavering Quality Standards: Your smile deserves the best. And we make no compromises there. We use quality implants and authentic implant parts. Dental implants are made by various manufacturers and are not all equal in quality or research support. Implants backed by years of research cost ten times what “knock off” implants can cost. Authentic parts that are fabricated to fit those implants are also more costly. We believe it’s absolutely worth the cost to have quality implants and implant parts used during surgery in an effort to minimize implant failures.

Tailored Just for You: No two smiles are the same, and neither should be the approach to care for them. We provide a customized surgery strategy for every patient. There is no one surgical plan that fits every patient. Every patient has a different dental history and a different personal story. There are many treatment options and we feel proud to offer a wide variety of techniques. We listen to our patients and help them arrive at a plan that makes sense for their dental condition, their emotional needs, and their financial possibilities.

Say goodbye to the inconveniences of conventional dentures and embrace a renewed, authentic smile with Dr. Gregor where you’re not just another patient; you’re family.

We offer comprehensive family dentistry and specialist services under one roof including preventive family dental cleanings, fillings, crowns, veneers, oral surgery, adult orthodontics, and periodontics. We also offer in-house dental insurance and work with employer insurance plans. We have a variety of financing options available.

Before & After Before & After

6 Tips to Get Sleep Back on Track

For many people, changing seasons are about resetting routines and adjusting to a different pace of life. With fall activities in full swing, families should be intentional about their sleep routines to avoid missing the magical moments ahead.

According to SleepScore, people lose an average of 15 1/2 hours of sleep (about 10 minutes each night) during summer months due to the “summer sleep slump.” Addressing this challenge, Natrol, a leading sleep, mood and stress supplement brand, along with behavioral sleep specialist Shelby Harris, intend to help people gain control over their sleep and mood to be more present each day.

“Sleep is supposed to help you live your day to the fullest,” Harris said. “There are smart behavioral shifts you can make to maximize your sleep routine this fall, and sometimes that can include melatonin supplements. I always say, ‘If you are taking a sleep aid that makes you sleepy throughout the day, what is the point of taking it?’”

Harris recommends these easy tips to improve your sleep routine.

Consider Sleep Cycle Changes

Before trying to reset routines, consider the changes you’re hoping to make. Track the sleep you’re getting now and pay attention to factors that may hinder your current sleep cycle, from struggling to fall asleep to tossing and turning during the night, then think about the ways you might be able to improve those hindrances.

Make Adjustments Gradually

Remember, changes don’t happen overnight. For many people, the solution is as simple as going to bed earlier. Rather than trying to make up that extra 30 minutes immediately, it’s often helpful to slowly adjust routines. Try starting your bedtime ritual 5 minutes earlier each night to work toward your goal.

Set Aside Time to Unwind

Despite the hectic nature of fall schedules, it’s important to prioritize time to unwind before bed. Whether it’s reading a book, meditating or finding another slow-paced activity you enjoy, a calming, screenless way to slow your mind may help you fall asleep quicker.

Be Thoughtful About Light Exposure

It may seem obvious, but too much light exposure (indoor and out) at night can cause sleep issues. Be mindful of your own comfort by ensuring TVs and computers are powered down, smartphones are set aside, outdoor lights are off and curtains are drawn. Keeping the room dark can make a big difference when trying to fall and stay asleep throughout the night.

Turn to a Drug-Free Sleep Aid Supplement

If you follow consistently good bedtime habits but still have trouble falling asleep, try a low-milligram melatonin supplement, like those from Natrol, which are designed to help people sleep better so they can feel well-rested and ready to take on the day.†

“Melatonin is not a one-stop solution to help get your sleep back on track,” Harris said. “If you are taking melatonin, finding a brand with USP Verified options, like Natrol’s 5MG Fast Dissolve Tablets, for example, is extremely important.”

Prioritize Your Wake-Up Routine

That snooze button might be tempting, but those extra few minutes of sleep may do more harm than good. Ensure you wake up feeling refreshed by sticking to a consistent sleep cycle. Whether it’s a morning stretch or simply forcing your feet to hit the floor, prioritizing movement and exposure to light can help kickstart the day.

Find more ways to help get your sleep back on track by visiting Natrol.com.

†These statements have not been evaluated by the Food and Drug Administration. These products are not intended to diagnose, treat, cure or prevent any disease.

Page 22 - forestimage.com

The Village Centers is excited to announce the 2023 “Enchanted Forest” Gala, will be held on Saturday, October 7th at the Houston CityPlace Marriott at Springwoods Village, located in The Woodlands.

As always, proceeds from the Enchanted Forest Gala will benefit The Village Centers’ mission to enhance the lives of adults with intellectual and developmental disabilities (IDD) and support them in reaching their full potential.

This year’s gala will honor local community and business leaders Pat and Ray Guard, who are loyal supporters of The Village Centers and have been instrumental in the growth of the Kingwood community. Co-chaired by Kim & Greg Fazzino, Joan & Ralph Imperato, and Layna & Mike Netek, the Enchanted Forest Gala will include silent and live auctions offering many coveted items, as well as fantastic food and drink at the new venue. The event will also feature entertainment by a stellar five-piece live band, Flight of the Keys, known for their dynamic and energetic performances. The Village Centers is one of the only organizations in the Northeast Houston area available to provide such a broad range of support and resources for individuals with intellectual and developmental disabilities (IDD) and is a lifeline to the families who depend on the organization for their physical, mental, and financial well-being.

The Village currently serves approximately 200 clients through a day-program, engaging outings and activities, residential living facilities, vocational training programs, and more. These programs are designed to help Villagers expand social and life skills, personal wellness, job skills, and critical thinking – all while becoming more involved in the community and securing meaningful employment whenever possible.

The Enchanted Forest Gala is an exciting opportunity to support The Village Centers and be a part of their transformational work. Make a difference in the lives of individuals with IDD and their families by attending the gala, being a sponsor, or participating in the silent auction, made available to the public via mobile bidding.

For tickets, sponsorships, silent auction registration, and more, visit www.thevillagecenters.org/2023gala or contact Claire Brown, Development Manager, at cbrown@villagelac.org or 281-358-6172.

The Village Centers’ mission is to enhance the lives of adults with intellectual and developmental disabilities and support them in reaching their full potential.

Forest Image Worship Directory

Second Baptist Church - North Holy Comforter Lutheran Church Kingwood Methodist Church

Saturday | 6 PM

Sunday | 9:30 & 11 AM

Saturday 6PM & Sunday 11AM services are a modern worship experience featuring powerful music from the Elevate Band. The Sunday 9:30 Am service features an exciting, energetic mix of tradiotnal and contemporary music led by full choir, orchestra and prasie team. All services feature a compleling message by Pastor Craig Reynolds.

22770 Hwy 59 N, Kingwood, 77339 713-465-3408

www.second.org

Sunday | 8:15 & 11 AM

Wednesday | 6 PM

Sunday in person worship at 8:15 & 11 AM. WOW Night is Wednesday at 6 PM for dinner, Bible study and worship. Livestream is available via Facebook, YouTube and our website Sundays at 8:15 AM. Discover Your Faith, Grow in Community, Live God’s Mission. That is the pathway for deeper discipleship. Everyone is welcome...changing lives ones person at a time.

1901 Woodland Hills Dr, Kingwood, 77339 281-358-6500

www.godeeperwithchrist.org

Sunday | 9:30 & 11 AM

Sunday in person and online services, including a traditional and contemporary service. KUMC is a community of hope in a world of difficulties and disappointment. A vibrant children and student ministry along with Sunday School for discipleship opportunities. We invite you to come experience what we mean when we say there is MORE TO LIFE IN CHRIST!

1799 Woodland Hills, Kingwood, 77339 281-358-2137

www.kingwoodmethodist.org

Understanding ‘Warning Strokes’

What to expect if you experience stroke symptoms, even if they disappear

Diagnosing a transient ischemic attack (TIA), sometimes called a “warning stroke,” can be challenging because symptoms often disappear within an hour. However, it’s important to seek emergency assessment to help prevent a full-blown stroke.

While a TIA, which is a temporary blockage of blood flow to the brain, doesn’t cause permanent damage, nearly 1 in 5 people who have a suspected TIA will have a stroke within three months, according to a scientific statement published in the American Heart Association journal “Stroke.” Additionally, almost half will occur within two days - which is why TIAs are often described as warning strokes.

People with cardiovascular risk factors, such as high blood pressure, diabetes, obesity, high cholesterol and smoking, are at high risk for stroke and TIA. Other conditions that increase risk include peripheral artery disease, atrial fibrillation, obstructive sleep apnea and coronary artery disease. In addition, a person who has had a prior stroke is at high risk for TIA.

The F.A.S.T. acronym for stroke symptoms can also be used to identify a TIA: F - face drooping or numbness; A - arm weakness; S - speech difficulty; T - time to call 9-1-1, even if the symptoms go away. Given the appropriate scan, 2 in 5 people will learn they actually had a stroke rather than a TIA,

TIA symptoms are the same as stroke symptoms, only temporary. They begin suddenly and may have any or all these characteristics:

• Symptoms begin strong then fade

• Symptoms typically last less than an hour

• Facial droop

• Weakness or numbness on one side of the body

• Trouble finding the right words or slurred speech

• Dizziness, vision loss or trouble walking

according to the scientific statement, which highlights the importance of seeking prompt medical attention. Upon arrival to the emergency room, a series of tests may be completed after assessing symptoms and medical history, including a CT scan, MRI and blood tests.

CT Scan - a non-contrast scan used to look at the blood vessels in the head and neck to rule out brain bleeding and TIA mimics (conditions that share some signs with TIAs but are due to other medical conditions such as low blood sugar, seizure or migraine). A CT scan may also be used to assess the neck arteries; nearly half of people with TIA symptoms have narrowing of the large arteries leading to the brain.

MRI - The preferred way to rule out a brain injury, such as a stroke, magnetic resonance imaging (MRI) is typically done within 24 hours of symptoms beginning. Because some emergency rooms may not have access to an MRI scanner, patients may be admitted to the hospital or transferred to a center. About 40% of patients who go to the emergency room with TIA symptoms are diagnosed with a stroke based on MRI results.

Blood Tests - Blood work will typically be completed to rule out conditions that may cause TIA-like symptoms, such as low blood sugar or infection, and check for cardiovascular risk factors like diabetes and high cholesterol.

Once a TIA is diagnosed, a cardiac checkup should be completed within a week of having a TIA, if not done in the emergency room. Consultation with a neurologist should also be completed within 48 hours (no longer than one week) after experiencing a TIA, as early consultation with a brain specialist is associated with lower death rates after a TIA.

To learn more and find additional resources, visit Stroke.org. Source: American Heart Association

October 2023 - Page 25
Hello Fall FROM FALL DECOR TO PUMPKINS AND MORE, WARREN’S HAS LOTS TO BE EXPLORED! Kingwood Garden Center 1216 Stonehollow Dr Warren’s Southern Gardens 1675 Northpark Dr Your one stop garden center! off $25 Purchase Save $5 off $50 Purchase Save $10 off $100 Purchase Save $20 VALID ON REGULAR PRICED ITEMS ONLY. NO ADDITIONAL DISCOUNTS/COUPONS. ONLY ONE COUPON PER VISIT EXPIRES OCTOBER 31, 2023 VALID ON REGULAR PRICED ITEMS ONLY. NO ADDITIONAL DISCOUNTS/COUPONS. ONLY ONE COUPON PER VISIT EXPIRES OCTOBER 31, 2023 VALID ON REGULAR PRICED ITEMS ONLY. NO ADDITIONAL DISCOUNTS/COUPONS. ONLY ONE COUPON PER VISIT EXPIRES OCTOBER 31, 2023 VALID ON REGULAR PRICED ITEMS ONLY. NO ADDITIONAL DISCOUNTS/COUPONS. ONLY ONE COUPON PER VISIT EXPIRES OCTOBER 31, 2023 VALID ON REGULAR PRICED ITEMS ONLY. NO ADDITIONAL DISCOUNTS/COUPONS. ONLY ONE COUPON PER VISIT EXPIRES OCTOBER 31, 2023 VALID ON REGULAR PRICED ITEMS ONLY. NO ADDITIONAL DISCOUNTS/COUPONS. ONLY ONE COUPON PER VISIT EXPIRES OCTOBER 31, 2023 on Entire Gift Shop Purchase (KGC Only) Save 25% 4" Bedding Plant Bogo Free on any one Houseplant Save 25% Kingwood Garden Center 1216 Stonehollow Dr Your one stop garden center! Warren’s Southern Gardens 1675 Northpark Dr

About Elite Hospital-Kingwood:

Elite Hospital Kingwood delivers healthcare the way it is meant to be. Elite Hospital Kingwood is located at 23330 US Highway 59 North in Kingwood, Texas. Opened in 2018, it is a fully licesnsed and CMS-accredited hospital. It provides the fullschope of emergency services to adults and children, inpatient medial care as well as outpatient inaging and laboratory services. Elite Hospital Kingwood is recognized as a Best Places to Work by the Houston Buiness Journal and as a Best Places to Work in Healthcare three years in a row by Modern Healthcare Magazine.

Lake Houston Musical Arts Society The Kingwood Chorale and Chamber Orchestra present Sat, November 18 7:30pm First Presbyterian Church of Kingwood 5520 Kingwood Drive, 77345 General $30 | Seniors(55+)$20 | Students w/ photo id $5 Dr. Todd Miller, conductor Blair Doerge, soprano Anthony McMullen, tenor The Lake Houston Musical Arts Society is a 501(c)(3) organization which supports the musical arts in the Lake Houston area. DONATIONS ARE TAX DEDUCTIBLE. Rutter: Forrest: LoneStar.edu/Kingwood Affirmative Action/EEO College For information: LHMAS.org | 832.779.1492 Page 22 Forest Magazine_Sep2023 Final.indd 22 9/1/2023 10:37:28 AM Forest Image - September 2023 Page 22 The Forest Image - September 2023 www.EliteKingwood.com Forest Magazine_Sep2023 Final.indd 22 Page 22 www.EliteKingwood.com Forest Magazine_Sep2023 Final.indd 22 9/1/2023 10:37:28 AM
Page 30

The Beautiful Pessimism at the Heart of Jimmy Buffett’s Music

Buffett’s

‘Come Monday,’

With the death of Jimmy Buffett, the feathers of his loyal network of fans – affectionately known as Parrot Heads – collectively drooped.

Over the course of his career, Buffett earned their love by transforming himself into a kind of musical shaman who offered transport from the banalities of everyday life to the bounty of a never-never land of eternal sun, endless sandy beaches and bottomless boat drinks: Margaritaville.

As a young fan in the 1980s and 1990s, I marveled at the power of Buffett’s music to carry his audience to this fantastic utopia, seeing in it nothing more than a bit of harmless fun.

But as I matured and eventually became a professor of philosophy, I came to see Buffett’s music as less an expression of optimistic pleasure-seeking and more a reflection of a profoundly pessimistic assessment of the trials and tribulations of life. Now his work strikes me as a closer companion to the pessimistic conclusions of the 19th-century philosopher Arthur Schopenhauer than to the hedonism of leisure culture.

I see this hidden pessimism – which underlies most of Buffett’s music – as the key to its enduring power and allure.

An escape to Saint Somewhere

Half troubadour and half travel agent, Buffett has long been in the business of selling escape.

Escapism was not only the driving force and centerpiece of his 30 studio albums and the main plotline of his three novels. It was also the heart and soul of his billion-dollar business empire, which included two restaurant chains, a line of frozen dinners and a fleet of hotels and casinos.

These myriad products, as their varied taglines and marketing campaigns tout, promise to carry their consumer away from the monotony of suburbia to the galleys of some imaginary Caribbean Island – “Saint Somewhere,” as Buffett put it in his 1979 hit “Boat Drinks.”

Buffett readily admitted his commitment to supplying his fans with some relief from reality. In his 2004 appearance on “60 Minutes,” he gleefully professed, “I sell escapism.” When interviewed by Sports Illustrated in 2007 he said, “I’m just doing my part to add a little more escapism to an otherwise crazy world.”

The question remains, however: Why are people so consistently drawn to Buffett’s special brand of escapism? Or to escapism in general?

Answering this question uncovers the pessimistic heart of Buffett’s work.

Just a little relief

Buffett himself ventured an answer to this question in the afterword of his 2004 novel, “A Salty Piece of Land”: “… now, more than ever, we don’t just enjoy our escapism – we NEED it.”

For Buffett, escapism was not merely something fun, some fiddling flight of fancy that can be taken up or discarded at will.

It is something essential to our survival – something that, as he put it in his 1974 track “Trying to Reason with the Hurricane

first hit,
was written when the artist was deeply depressed and suicidal.

Season,” “cleans [us] out” so that it’s possible to move on with life.

To love the music of Jimmy Buffett, in other words, is not to love life. It is to pessimistically admit that life is difficult and that it needs to be escaped every once in a while just to be endured.

In Buffett’s music one catches a glimpse, however fleeting and even false, of the possibility that somewhere out there, somewhere beyond the persistent struggles and disappointment of life, there lies “somewhere warm,” as he puts it: some utopia where all our fears and anxieties might be wiped away and we can heal from whatever grieves us, whether the heartache of a breakup or the trauma of having “[blown] out a flip-flop,” or “stepped on a pop top.”

“When I look out at my audience,” Buffett noted in a 1998 interview with Time magazine, “I see people who are caring for aging parents and dealing with tough jobs, adolescent kids, and they look like they could use a little relief.”

And that’s what he endeavored to give them: a little relief from the woes and worries of their lives.

The role of good art and good music

Buffett’s first big hit, “Come Monday,” originated from his own need to escape a particularly dark period of life.

“I was deathly depressed and living in Howard Johnson’s in Marin County,” he confessed to David Letterman in 1983, “and this song kept me from killing myself.”

Fortunately, he explained to Letterman, “it hit, and I was able to pay my rent and get my dog out of the pound.” It was his capacity to respond to the overwhelming difficulties of life in this spirit of comedic melancholia that made Buffett’s music so special.

His songs acknowledge what everyone already knows to be true: that life can be excruciatingly painful and is often too much to bear, but that one must nevertheless find a way to move on. It is this pessimistic subtext to Buffett’s escapism that made it so achingly irresistible.

19th-century black-and-white photographic portrait of seated man resting head in hand. Schopenhauer would have enjoyed a stay in Margaritaville. Bettmann/Getty Images

In this sense, Buffett’s music exemplifies what the 19th-century pessimistic philosopher Arthur Schopenhauer thought of as the ultimate power of art.

To Schopenhauer, good art grows from a recognition of the difficulties of life, and it endeavors to respond to them by offering a momentary respite from its otherwise relentless slings and arrows.

For these reasons, Schopenhauer saw in art – and in music, especially – a way of escaping reality, of being carried away into a fantasy land that everyone knows can never exist, but that is nonetheless comforting to contemplate.

October 2023 - Page 33

Meet Melia Valentine!

Melia grew up dancing. She has always believed in a healthy lifestyle and has a passion for helping others. Her career path led her to personal training. While working with her clients and communicating with their doctors to better assist them, she was persuaded to further her education and study nursing. Now she has the best of all worlds as she looks forward everyday to helping her clients achieve their goals for better health and fitness at Essential Skin Care MedSpa.

Melia has been very successful in her desire to integrate the original concept of Essential (luxury spa treatments such as massages and facials) with medical-grade anti-aging treatments, skincare and rejuvenation treatments under the supervision of medical professionals to achieve a full range of inner-wellness and beauty.

Melia is particularly excited about several new procedures that she is offering. Stop by Essential Skin Care MedSpa to learn more about painless hair restoration, painless laser hair removal, Semaglutide injections for weight control, Morpheus8, a non-surgical advanced needling treatment to inprove elasticity and repair acne, and EXO|E Plant Stem Cell Technology to revive, reverse and renew your skin.

SpecialOffer $100 OFF *1 COUPON PER CUSTOMER EXCLUDING IN-STOCK PRODUCTS, CASH & CARRY. EXPIRES 10/31/23 281-324-9032 YOUR PURCHASE OF $999 OR MORE MANUFACTURER’S HAVE LOWERED OUR PRICES. WE’RE PASSING THE SAVINGS TO YOU! HURRY • NO GIMMICKS • TRUE SALE 281-324-9032 • LAKESIDEFLOORS.COM • 12118 FM 1960 E • HUFFMAN HARDWOOD CARPET LUXURY VINYL PLANK TILE, TUBS & SHOWERS Family Owned & Operated By Kenny and Colleen Hoyt Instant Credit Available FLEXIBLE FINANCING AVAILABLE! SEE STORE FOR DETAILS. NATIONAL FLOORING SALE ON SALE OCTOBERNOW! 1-31

Turn static files into dynamic content formats.

Create a flipbook
Issuu converts static files into: digital portfolios, online yearbooks, online catalogs, digital photo albums and more. Sign up and create your flipbook.
The Forest Image October 2023 by designedbykellythomas - Issuu