

IMPLANTOLÓGIA
FOGÁSZAT
Orális rehabilitáció kétrészes kerámiaimplantátumokkal
Az implantátumelhorgonyzású restaurátumok hosszú távú sikere az esztétikai zónában
Digitális munkafolyamatok konverziós fogpótlásokhoz a teljes implantációs fogászatban
Azonnali implantáció és egyidejű vertikális csontpótlás














































































Tisztelt Olvasó!
A fogászati szektor az idei esztendőben – reményeink szerint – már fel fogja dolgozni a Covid-19 okozta súlyos problémákat, az ukrán háború miatt kialakult nehézségeket, a korábbi években elszabaduló inflációt, és már tervezi a fejlődés aktuális lehetőségeit. Mindannyian abban bízunk, hogy megérkeznek az európai uniós források, újra indulnak a pályázatok, és stabilan tudjuk vezetni a vállalkozásainkat!
A tavalyi év sokunk életében hozott különböző gondokat, de mégis elmondhatjuk, hogy jobb volt, mind a 2020-2022 közötti időszak, amikor a létbizonytalanság, a járványtól való félelem uralta a napjainkat. Az idegenforgalom tavaly szépen megindult, 2024-ben a vendégéjszakák száma elérte a 2019-es adatokat. A nagy rendelők már teljes kapacitással üzemelnek, a fogtechnikai laborokban is visszatért a folyamatosság, a fogászati kereskedők jelentős része pedig jobb évet zárt 2024-ben, mint a korábbi esztendőkben.
A fogászati rendelők és fogtechnikai laborok elsősorban a fejlesztéseket állították előtérbe, amelyhez számos pályázat és egyéb forrás is kedvező konstrukciókat kínált. 2025-ben – tudomásunk szerint – lesznek új pályázati források, ezekről a kereskedelmi vállalatok részletesebb információkat tudnak majd adni. Az új források bevezetése idén remélhetőleg ismét növekedési spirálba helyezi majd ezt a szektort!
Az infláció elérte a fogászati ágazatot is, a vállalkozások az euró változásától, gyengülésétől függően azzal találkoznak, hogy az árak – a mindennapi élet mellett – itt is jelentősen és folyamatosan változnak, emelkednek. Így a fogászati rendelők is kénytelenek az áraikat emelni, egyre több rendelő, ún. „piaci alapú” árképzést vezet be. A folyamat kimenetelét még nem lehet pontosan látni, a munkaerő fluktuációja, az Európai Unió áraihoz képest alacsony magyar fogászati beavatkozások értéke - jelenleg még nem érte el a drágulás csúcspontját. Az elmúlt időszakban számos újság, cikk foglalkozott a fogászati szektorban található extra drágulási folyamattal. Ez egyelőre – a hazai rendelőkben – még nem mutatott jelentős problémát, új hívószavakkal, sok marketing munkával, reklámmal most a magyar lakosságot kell határozottabban a rendelőkbe invitálni!

A kiadó bizakodva tekint a jövőbe, a megújult tartalmaink kapcsán sok pozitív visszajelzést kapunk, melyeket nagyon köszönünk! Az elmúlt években –a nehézségek ellenére is – növelni tudtuk a kiadványaink és a magazinjaink számát, nem csökkentve azok tartalmi minőségét. 2020 óta a tematikus e-Journalok is folyamatosan megjelennek, melyek egyfajta online könyvtárként is szolgálnak az Olvasóinknak. A dental.hu oldalon díjmentesen elérhetőek a korábbi tematikus online lapszámaink is.
A mostani kiadványunkban az általános fogorvosi eljárások mellett kiemeltebben az implantológia témakörével foglalkozunk.
Tartalmas olvasást kívánok!
Laczkó Tamás, felelős kiadó
„A befogadó szellemű gondolkodás elengedhetetlen ahhoz, hogy a saját szakmai elveinket – adott esetben –
csontpótlások: Korszerű sebészeti technikák és
restaurátumok
E-Journal VIII. évfolyam, 2025. 8. szám
Kiadja: DP Hungary Kft. 1012 Budapest, Kuny Domokos u. 9.
Felelős kiadó: Laczkó Tamás
Főszerkesztő: Dr. Sidó Levente
Előkészítés:
DP Hungary Kft., Sárközi András e-mail: grafika@dental.hu
Információ, hirdetésfelvétel:
Bárdos Veronika, telefon: 06-30-472-0030, 06-1-793-1874
Az újság e-mail címe: info@dental.hu
Az újság internetcíme: www.dental.hu
Terjesztés: E-mail hírlevél formájában.
A tudományos közleményeket a szerkesztőség lektoroknak adja át véleményezésre. Közlés csak egyetértő lektori vélemény, illetve a javasolt módosítások elvégzését követően lehetséges.
A cikkek szerzői vállalják, hogy az általuk elküldött írás saját forrásból származik, illetve a felhasznált anyagokat (publikációkat, illusztrációkat, képeket stb.) mindenkor pontosan feltüntetik. Írásaiknak jogi és egyéb adatvédelmi kérdéseiben felelősséget vállalnak.
A német nyelvű szakmai cikkeink magyar fordítását az Oemus Media AG Kiadó engedélyével szerkesztettük lapunkba. A fel nem használt kéziratokat, fotókat nem őrizzük meg, és nem küldjük vissza.
A hirdetések tartalmáért nem vállalunk felelősséget. A gyártó, illetve forgalmazó cégek kérésére közzétett cikkeket keretbe foglalva közöljük és (x)-szel jelöljük, azok szakmai tartalmáért a szerkesztőbizottság nem vállal felelősséget.

Dr. Radánovics-Nagy Dániel
„A BEFOGADÓ SZELLEMŰ GONDOLKODÁS
ELENGEDHETETLEN AHHOZ, HOGY
A SAJÁT SZAKMAI ELVEINKET – ADOTT
ESETBEN – FELÜLVIZSGÁLHASSUK…”
Interjúalanyom a Semmelweis Egyetem Fogorvostudományi Karán szerezte diplomáját 2001-ben. Közvetlenül a végzés után csatlakozott a Magyar Honvédség Honvédkórház Szájsebészeti Osztályához, az „Alma Mater” a mai napig kitüntetett helyet foglal el a szívében, ahol jelenleg is vállal ügyeleteket önkéntes, segítői munka keretében. Szájsebészeti szakvizsgáját 2006-ban abszolválta. A kórházi ellátás során legfőképpen a fej-nyak régió baleseti sérüléseinek, fejlődési rendellenességeinek és daganatos elváltozásainak ellátásában szerzett tapasztalatot. Az AquaDent fogászati rendelőt 2004ben alapította, a PreceDent Fogászati és Endodonciai Centrum csapatának a 2005-ös kezdetektől fogva tagja. A magánellátás szintjén leginkább áttörésben visszamaradt fogak, ciszták, valamint egyéb gyulladásos eredetű folyamatok sebészetével, valamint csontpótló eljárások kivitelezésével, fogászati implantátumok beültetésével foglalkozik, fókuszálva a legújabb módszerekre és a digitális munkamenetre. Számos nemzetközi és hazai szakmai rendezvény keresett előadója, a Dental World Kongresszus Implantológia Szekciójának 2020 óta témafelelőse. Igazi örökmozgó, szabadidejében szívesen síel, kosárlabdázik és hódol különféle vízi sportoknak.

Dr. Sidó Levente az otthonában látott vendégül, ahol éjszakába nyúlóan beszélgettünk életpályájáról, a szakmai hivatástudat fontosságáról, illetve a hazai szájsebész utánpótlás helyzetéről.
Idén 25 éves a Dental World, Neked pedig jövőre lesz negyed évszázada, hogy kézhez vehetted a fogorvosi diplomádat. Mesélsz egy kicsit a kezdetekről? Amennyire tudom, a felvételid eléggé kalandosra sikeredett. Igen, ez igaz. A szóbeli felvételin, egy szép biológia feleletet követően, fizikából egy fénytani tételt húztam. Mivel ebből a témából – hogyan is fogalmazzak – nem voltam tökéletesen felkészült, elmondtam, amit tudtam, de úgy éreztem, hogy valószínűleg kicsit hiányos a felelet. Ezért őszintén azt mondtam a vizsgabizottságnak: „Én sem tűzoltó, sem masiniszta nem szeretnék lenni, kicsi gyerekkorom óta fogorvosnak készülök, kérem, ezt vegyék figyelembe a pontozásnál!” Mindkét tárgyból maximális pontszámot kaptam, az eredmény kihirdetésénél láttam a bizottság tagjainak szemében, hogy a fizikafelelet hiányosságai ellenére is különleges bizalmat szavaztak nekem, amiért azóta is hálás vagyok. Tanulmányaimat a – később tervezetten megszűnő – 5-ös csoportban kezdtem, a csoport feloszlásakor Gombos Ádám barátommal a túlélők közé tartoztunk, és ekkor olvadtunk be Benyőcs Gergelyék csoportjába, akivel szintén barátságot kötöttünk, csakúgy, mint Mócz Andrással. Gergővel onnantól kezdve a fogászati klinikai gyakorlatokon párban dolgoztunk, egymásnak asszisztáltunk. Külön érdekesség, hogy Ádámmal pedig mindig együtt, egy napon mentünk vizsgázni, és

Honvédkórház Szájsebészet, 2002
bár természetesen nem mindig ugyanolyan érdemjegyeket kaptunk, végül a diplománk átlaga századra pontosan megegyezett.
A diplomaszerzést követően a Honvédkórházba kerültél, ahol akkoriban dr. Gyenes Vilmos volt a vezető – akit beszélgetéseinkben gyakran csak „A Tanárúrként” emlegetsz. Milyen volt ez a közeg számodra, kiket tartasz legnagyobb mestereidnek?
Nos, az alapelvek a Gyenes tanár úr féle iskolából jönnek –nekem mindig is ő lesz „A Tanárúr” –, kiemelkedő gyakorlati mesteremnek pedig Tóth-Bagi Zoltánt és Túri Józsefet tartom. Itt felsorolhatnám a teljes honvédkórházi csapatot is, hiszen pályakezdőként minden orvos kollégától, nővérektől, ápolóktól, műtősnőktől, asszisztensektől, adminisztratív munkatársaktól is naponta tanultam valamit.
Olyan összetartó közösség voltunk, amire mindig jó
lesz visszagondolni; örömmel és büszkeséggel tölt el, hogy tagja lehettem annak a csapatnak.
Nehéz lenne néhány mondatban összefoglalni mindazt a szakmai tudást, amit átadtak nekem, továbbá azokat a pácienscentrikus és emberi alapelveket, amelyek mind a mai napig meghatározóak orvosi tevékenységem során és a magánéletemben is.
2007-ben új kihívások elé állított minket az élet, a Szájsebészet beköltözött az „új” épületbe, Gyenes tanár úr tragikus hirtelenséggel eltávozott közülünk, és a legtöbb „régi” kolléga is máshol folytatta munkáját. Suri Csilla főorvos asszony vezetésével újra nagyszerű csapat kovácsolódott. 2022-ben

Dr. Mócz András (balra), dr. Sidó Levente (középen), dr. Benyőcs Gergely (jobbra)
házon belül ismét költözött az osztály, immár Sass Tamás főorvos úr vezetésével működik, akivel a korábbi szakmai profil mellett a legmagasabb szakmai szinten történik a daganatos páciensek ellátása és a rekonstrukciós műtétek elvégzése is. Úgy gondolom, hogy a jó orvos - ahogy a jó pap is – holtig tanul! Abban a szerencsés helyzetben vagyok, hogy a Honvédkórház Szájsebészete mindig is olyan hely volt és jelenleg is az, ahol nap mint nap lehetőség van a tanulásra, szakmai fejlődésre. Büszkén voltam és vagyok a csapat tagja! Szakmai karrierem elején ha ügyelet volt, akkor bent maradtam, mivel tanulni akartam, ha műtét volt, akkor mindent megtettem, hogy részt vehessek abban, legyen az fogsebészeti, politraumás, dysgnath, hasadékos vagy tumoros páciens. Ha Tóth-Bagi doktor bármilyen szakmai rendezvényre ment, akkor én mindig vele tartottam, mindenhová. Ha szombaton jött a telefon, hogy: „Hé, Sidó gyere az OBSI-ba, mert van egy törött…!”, akkor én mentem, ez számomra teljesen természetes volt. Mind a mai napig szívesen veszek részt az osztály munkájában önkéntes segítőként, új tapasztalatokat szerezve, szakmai ismereteimet bővítve.
Mi változott azóta? Úgy értem, a mai fiatalok is bent maradnak „pro bono” a szabadidejükben? Nagyon sok minden változott azóta, egészen más feltételekkel kell ma helytállni, mint negyed évszázada. Amikor a Honvédba kerültem, központi gyakornok voltam, fizetést kaptam, az volt a feladatom, hogy bejárjak a kórházba, részt vegyek a munkában, továbbá minél több tudást szívjak magamba. Osztályos orvos voltam 7 éven át, reggeltől estig ott voltam, de volt, hogy egész éjjel is. Túri József és Gyenes tanár úr rendelőjében, magánrendelés keretei között is volt lehetőségem dolgozni, de abban a szerencsés helyzetben voltam, hogy nem a megélhetésem múlott ezen, tulajdonképpen szakmai lelkesedésből tettem ezt. Nagyon más helyzet volt ez, hiszen a szakképzésben való részvétel nem jelentett jelentős havi költséget, így nem voltam túlterhelve, és száz százalékban a szakmai fejlődésre tudtam fókuszálni úgy, hogy mindig maradt idő a családra, a barátokra és a sportolásra is. A mai fiatalok sokkal nehezebb helyzetben vannak: sokszor láthatunk kialvatlan, túlterhelt, szinte már kiégett fiatal kollégákat, akiknek egy sokszor nehezen átlátható rendszerben kell a feladataikat teljesíteni, megfelelni a szakmai kihívásoknak, valamint a felgyorsult, rohanó világ


követelményeinek is. Felmerülhet természetesen a kérdés, hogy vajon kárát látja-e mindennek az utánpótlás nevelése, és hat-e mindez a páciensek ellátására is? Erre a kérdésre nem tudok válaszolni, de az idő meg fogja tenni helyettem.
Mi lehet szerinted a megoldás? Mit kellene szerinted megváltoztatni?
Az orvostudomány folyamatosan fejlődik, és mára hatalmas tudásanyagot tartalmazó tudományág lett. Egyik szakterületen sem jelenthető ki, hogy „mindent tudok”.
Azt gondolom, hogy az internet, a mesterséges intelligencia és más digitális eljárások rohamos előretörése miatt érdemes lenne elgondolkodni azon, hogy kell-e változtatni a képzési rendszerünkön
– akár már általános iskolától kezdve –, amely jelenleg leginkább numerikus adatokra, lexikális tudásra fókuszál. Az információ ma már sokkal gyorsabban és könnyebben hozzáférhető, kérdés azonban, hogy mihez kezdünk vele. Mindezzel csak arra célzok, hogy a listaszerűen betanult ismeretek visszamondása nem komplex gondolkodás, ami az orvoslás (de ugyanúgy sok más terület) alapja lenne, az inkább a lényeglátásról, a problémamegoldó képességről és a döntéshozatal felelősségéről szól. A felvételi vizsgák is leginkább a lexikális ismereteken alapulnak, és egyáltalán nem vagyok biztos benne, hogy ez a legjobb gyakorlat. A 2007 utáni „új” Honvédban közel 10 éven keresztül én voltam a szakképzésért felelős szakorvos A relatíve nagy túljelentkezés miatt egy objektív mérce alapján kellett szelektálnunk, erre dolgoztunk ki egy rendszert.
A jelentkezőknek orvosszakmai tesztet is kellett kitölteniük, de a vizsga nagyobb részben nem erre fókuszált. Különféle ügyességi, logikai és szituációs feladatokat kellett megoldani. Például egy sosem látott puzzle, ki rakja össze először, vagy itt egy tű meg egy cérna, fűzd be, miközben én nézem a kezed. „Bocs, kicsit remeg, mert izgulok!” – A műtőben nem fogsz izgulni?
Az egyik kedvencem: „A felvételizőnek az a feladata, hogy referáljon a felvételes ügyeletre telefonon egy oda érkező pácienssel kapcsolatban. A beteg 2006. február 31-én született, penicillinérzékeny, kiterjedt szubmandibuláris duzzanattal, szeptikus lázmenettel, szájzárral és nyelési nehézséggel." Ritkán, de előfordult, hogy határozott hangvételt használva sikerült rábeszélni a kollégát, hogy az említett pácienst küldje inkább haza, vagy gyorsan adjon penicillinszármazékot az arra egyébként allergiás páciensnek. Nagyon kevés jelentkező volt, aki észrevette és szóvá tette, hogy február 31-i születési dátum nem létezik. Érdekes tapasztalat, 10-15 év távlatából, hogy a jó eredménnyel megírt orvosszakmai teszt egyáltalán nem korrelál a későbbi szakmai sikerekkel, viszont akik jól teljesítettek a felvételi vizsgán (akár úgy, hogy a teszt gyengébb eredményű volt), azóta jelentős szakmai sikerekkel és előrehaladással büszkélkedhetnek. Tehát, egyfelől, amin változtatni kellene, az a lexikális tudás és a komplex problémamegoldás fontosságának felülvizsgálata a képzés során. Másfelől van egy olyan érzésem, hogy a bérek az utóbbi években történt megemelésének ellenére egy kórházban dolgozó orvosnak – figyelembe véve a felelősségi körét, az azzal járó stresszt, az oda vezető út hosszát és nehézségeit –, fizetése még mindig nincs teljesen összhangban a munkájával. Emellett – sok intézményben – az orvosi munkahelyi idő igen tetemes része gyakran nem tényleges gyógyító tevékenység, hanem adminisztratív, bürokratikus jellegű munka. Ez a rendszer valószínűleg sokak számára nem vonzó, és az egyébként tehetséges fiatalok kevésbé választják majd az orvosi karriert. Ha viszont csökken az utánpótlás, akkor a rendszerben dolgozók túlterhelődnek, kiégnek. Ezt látva, természetesen még kevésbé lesz népszerű a szakma. Ez egy ördögi kör, amiből nehéz kilépni, de én optimista vagyok, bízom a fiatalok lelkesedésében és a döntéshozók hozzáértésében!
Volt-e olyan előadó vagy továbbképzés az életedben, amely nagy hatással volt rád?
Rám elsősorban nem a plénumi előadások hatottak, sokkal inkább azok a személyek, akikkel az életben volt szerencsém együtt dolgozni a gyakorlatban. Mindemellett szeretek ol-
Ambuláns műtő a Bocskai úti rendelőnkben
PRF tanfolyam
vasni. Meghatározó volt Otto Zuhr: Plastic-Esthetic Periodontal and Implant Surgery címet viselő kötete, amelyet én csak „rózsaszín könyvként” emlegetek. Engem egyfajta kettősség jellemez, egyrészt igyekszem nyitott lenni és maradni az újdonságok irányába, másrészt viszont konzervatívnak is tartom magam bizonyos szempontból. A befogadó szellemű gondolkodás elengedhetetlen ahhoz, hogy a saját szakmai elveinket adott esetben felülvizsgálhassuk. Egyszerűen azért is, mert a fogászati fejlesztések óriási ütemben zajlottak és zajlanak napjainkban is. Azt látni kell, hogy az implantológiai eredmények sokkal jobbak, mint amilyennek lenniük kellene. Szakmai karrierem elején például meggyőződésünk volt, hogy minél nagyobb nyomatékkal sikerül az implantátumot beültetni, annál jobb a várható gyógy-eredmény. Ma már tudjuk, és tudományosan nehéz volna igazolni, hogy egy túlzott nyomatékkal behelyezett implantátum – függetlenül attól, hogy egyrészes vagy kétrészes – különösebben kedvére való volna a csontszövetnek. Én azzal a szakmai állásponttal értek egyet, hogy a túlzottan nagy nyomaték nem jó a csontnak. Fantasztikus, hogy az emberi szervezet mit képes tolerálni!
A 2000-es évek elején elfogadtuk tényként, hogy a beültetett implantátumok körül bizonyos idő múlva a nyaki résznél csontfelszívódás kezd megjelenni, természetesen korántsem mindig. 2006-ben Rédei Attila a Frontdent jóvoltából egy bécsi implantológiai képzésre invitált, annak ellenére, hogy előre elmondtam neki, nem fogok váltani a „jól bevált” módszerről, márkáról. Ez volt az Ankylos multi-indikatív kurzusa Marcus Abbouddal és Georgia Trimpouval, amely
Világújdonság
az -től!
Ergo V™
Ergo V™ Pro

Súly: 59 g
Nagyítási fokozat: 3,8x, 5,3x, 7,0x
Munkatávolság: 40-70 cm
Súly: 63 g
Nagyítási fokozat: 5,6x, 7,4x, 10x
Munkatávolság: 40-70 cm
A lupékhoz választható
egyfajta mind-changerként hatott rám. Megismerkedtünk olyan fogalmakkal, mint a tissue-care, a platform switching, kónikus kapcsolat, a baktériummentes implantátum-felépítmény kapcsolat, amelyek segítségével úgy gondoltuk, hogy végre megértettük az előbb említett csontreszorpció okát. Ígéretem ellenére azonnal váltottunk, és azóta is kitartunk a rendszer mellett. Az első navigációs műtétemet is Ankylossal végeztem, Vaslaki Krisztián közreműködésével. Érdekes visszagondolni, hogy a tervezés és előkészület akkor még heteket vett igénybe. Az új alapelvek és az implantációs rendszer nagyon jól működtek, mégis az évek során találkoztunk néhány esettel, ahol nem tudtuk megmagyarázni a periimplantáris kórfolyamat okát, vagy az implantátum elvesztésének a miértjét.
A másik nagy mérföldkő Joseph Choukroun, a PRF fejlesztője, aki rám minden bizonnyal óriási hatással bírt. Az általa képviselt – összefoglaló névvel – oszteoimmunológia sok minden más mellett arra is rámutat, hogy a csont nem szereti, ha nyomják; illetve másképpen viselkedik a kortikális és a trabekuláris csont. A rugalmatlan csont rosszul reagál. Nem mindegy tehát, hogy az implantátummal a csont melyik részére és hogyan gyakorlunk hatást. A kép végre teljesen összeállt: a lényeg, hogy megértsük a csont élettanát. Úgy gondolom, hogy a tissue-care és az oszteoimmunológia alapelveinek alkalmazásával kezeléseink a legfrissebb tudásunk szerinti biomechanikai és élettani alapokon nyugszanak. Hiszen fő célunk a hosszú távú siker elérése, és az „elsősorban ne árts” elv betartása! A Harmonycom Kft. szervezésében, dr. Bögi Krisztinával közösen tartott PRF-kurzusainkon mindig ezek-
3 állítható nagyítás egy Ergo lupéba integrálva
Bármely Admetec kerettel

FUJITOK© lencsék, a világvezető gyártótól
Állítható Zoom Technológia Zökkenőmentesen válthat három nagyítási fokozat között egyetlen lupéval a maximális pontosság, sokoldalúság és ergonomikus kényelem érdekében.
típusú világítást adunk ajándékba!
06 30 942 7560 | dental@harmonycom.hu | www.harmonycom.hu

re az alapelvekre fókuszálunk, és igyekszünk a résztvevőknek átadni két és fél évtized szakmai tapasztalatát.
Milyen értelemben tartod magad igazán konzervatívnak?
Lassan régimódinak mondható vagyok abban az értelemben, hogy én hiszek a személyes találkozás erejében. Ez egyébként nem hit kérdése. Gondoljunk bele, ha az emberi törzsfejlődést idővonalra helyezzük, azt látjuk, hogy 99,9%ban (azaz több tízezer éven keresztül) metakommunikációval zajlottak az interakciók. A fennmaradó 0,1%-ban megpróbáljuk mindezt a digitális térbe átvinni. A legtöbb online fórumon pedig mi történik igen gyakran, ha egy szakmai vagy akár magánjellegű témában megindul a diskurzus? Nagyon hamar konfliktus, összeveszés. Mert ott csak a leírt szavak állnak, de nem kíséri őket hangsúly, hangszín, mimika, gesztikuláció. „Te bolond vagy!” – leírva sértő, de ha nevetve mondom neked, és érzed a hangomból, hogy arra gondolok, én is pont ilyen bolond vagyok, akkor mindketten nevetünk egyet ezen. Olyan csodálatosnak tűnik az élet, hogy itt, a Föld nevű bolygón a levegő gázelegyének pont 21%-a oxigén, ami nekünk ideális, hogy belélegezzük. Vegyük észre, hogy ez fordítva van, adott volt egy ilyen összetételű légkör, és a mi szervezetünk ehhez alkalmazkodott, ebben fejlődött. Jó ideje így élünk, és hamar megvan a baj, ha csökken az oxigénszint. Ugyanez a helyzet a kommunikációnkkal. Az ember interperszonális lény, elemi szükségünk van arra, hogy találkozzunk, beszéljünk egymással, erre vagyunk genetikailag hangolva. Ezért tartom fontosnak a Dental World-öt is, ahol a tanuláson kívül lehetőség adódik arra is, hogy új emberi kapcsolatokat létesíthessünk, illetve a meglévőket ápolhassuk.
Ha képzeletben összeállíthatnál az elmúlt évek Dental World Implantológia Kongresszusának nemzetközi előadóiból egy allstars csapatot, kik szerepelnének benne?
A Dental World Implantológia Kongresszusán mindig kiváló előadókkal találkozhattunk, nagyon sokszínű, különleges és értékes prezentációkat láthattunk, ezért ez nehéz feladat, de a kosárlabdás all-starhoz hasolóan megpróbálok 5 nevet kiemelni: Joseph Choukroun, Alan
Simonpieri, Francesco Amato, Alexander Tzovairis, Andrea Mombelli. Sajnos Simonpieri doktor már nincs közöttünk, de a szerencsések még találkozhattak vele 2023-ban. Reméljük, hogy a többiektől még lesz alkalmunk nagyszerű előadásokat hallani a jövőbeli Dental World Kongresszusokon!
Tettél említést a Rubor Labii zenekarról, ami – akárcsak a Dental World – idén szintén fennállásának 25. évfordulóját ünnepli. Mi a zenekar rövid története, mivel készültök a jubilálásra?
A Rubor Labii név keletkezéstörténete a következő: A 2000-es évi gólyabál zenekaraként a szervezők a zenekar neve után érdeklődtek. Gyors választ vártak, így – kedvenc latin kifejezéseink közül – erre esett a választás. A zenekar így egyszerre – szinte váratlanul – nevet kapott! A formáció egyébként lényegében egy gólyatábori összeállásból született, amelyhez később „külsősök” is csatlakoztak. Az alapító tagok között volt Lázár Kornél, Kozik Balázs, Siklós Csaba és Mócz András. Később csatlakozott Kárpáti Gábor, a billentyűsünk, Gulyás Gergely a közönségből, aki közgazdász, Kupai Mihály, aki jogász, Benyőcs Gergely, Varga Virág és jómagam. A jelenlegi felállás

2011-ben stabilizálódott, 14 éve lényegében nincs változás. Rengeteg koncerten és kalandon vagyunk már túl, és október 11-én az Instant-Fogas Komplexumban ünnepi, 25 éves koncertet tartunk. Mi egyfajta évfolyam-találkozóra is számítunk… Jöjjön, aki nem fél egy jót bulizni!
Köszönöm ezt az éjszakáig tartó, baráti beszélgetést!


Csapatmunka 2018
A Rubor Labii zenekar











Over 10 years at the foref ront of dental innovation.
Over 10 years at the forefront of dental innovation.
2025. DECEMBER 31-IG
APRIL 17-18, 2026
BUDAPEST, HUNGEXPO

DR. ZINONAS EVAGOROU
PROSTHETIC DESIGN AND SURGICAL PRECISION: BRIDGING THE GAP

DR. SÁRY TEKLA
A DIREKT ANTERIOR RESTAURÁTUMOK MŰVÉSZETE ÉS TUDOMÁNYA

DR. VARGA ENDRE
GUIDED SURGERY AND IMMEDIATE LOADING

DR. KRZYSZTOF GOŃCZOWSKI
TREATMENT OF COMPLICATED CARIES WITHOUT ROOT CANAL TREATMENT

UPGRADECONGRESS.HU
DR. MAARTEN DE BEER
THE BIG SIX ANTERIOR CERAMICS

DOBRENTEY ZSOLT
GYAKORLATI MATRICZÁSI TIPPEK ÉS TRÜKKÖK

STUMPF LÓRÁNT
MOSOLYTERVEZÉS 2026
TRENDEK ÉS MEGOLDÁSOK

DR. NAGY ZSOLT

DR. NIKOS ΚAMPANAS
THE ART OF DIRECT ANTERIOR COMPOSITE VENEERS

DR. FORSTER ANDRÁS
DIREKT BIOMIMETIKUS HELYREÁLLÍTÁSOK - HATÁROK NÉLKÜL?

ZEITLER SZILVIA
MOTIVATION INTERVIEW (MI) A BESZÉLŐ FOGÁSZAT

DR. MARADA GYULA
A DIGITÁLIS SZÉK MELLETTI FOGÁSZATI ELLÁTÁS LEHETŐSÉGEI

DR. JUN IWATA
POSTERIOR OVERLAY PREPARATION AND CEMENTATION


COMPOSITE VENEERS FROM PLANNING TO SURFACE TEXTURE

DR. OMAR IKRAM DR. CLAUDIA PINTER
ALIGNERS IN COMBINATION WITH AUXILIARIES



A PARADIGM SHIFT TO IMPROVE IMPLANTS IN THE ESTHETIC ZONE

DAVID ZAKIS PUTTING OUT THE FIRE! TREATMENT OF ENDO EMERGENCIES
CLASS II & CLASS III NON-SURGICAL ORTHODONTIC TREATMENTS

DR. MARCO MAIOLINO DR. PIERRE DIMITROV EDRIS RASTA
INJECTION MOULDING & MATRIX SYSTEMS

DR. CLAIRE O’CONNOR
RUBBER DAM ISOLATION THE KEY TO RESTORATIVE SUCCESS
THE PHENOTYPE PROJECT – DIGITAL NATURAL MORPHOLOGY DATABASE

DR. MICHAEL MELKERS
OVERCOMING CHALLENGES IN OCCLUSION & CASE PLANNING
THE ANATOMICAL JOURNEY OF RESTORATIVE DENTISTRY

AESTHETIC DIRECT POSTERIOR RESTORATIONS
Dr. Alice Maria de Oliveira Silva, dr. Vittorio Moraschini, dr. Rafael Seabra Louro, dr. Amanda dos Santos Bussinger Porto, dr. Daniel Moraes Telles, dr. Mayla Kezy Silva Teixeira, dr. Euardo Veras Lourenço, dr. Alexandre Marques Paes da Silva (Brazília)
ORÁLIS REHABILITÁCIÓ KÉTRÉSZES KERÁMIAIMPLANTÁTUMOKKAL
12 hónapos utánkövetéses esetsorozat
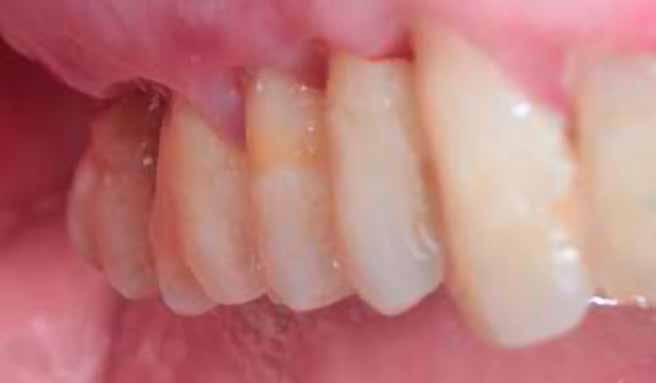
Cikkünkben összesen négy, kétrészes kerámiaimplantátum klinikai és radiológiai eredményeit mutatjuk be, amelyeket a felső, moláris régióba helyeztünk be.
A műtéti tervezéshez mindkét esetben CBCT-felvételt használtunk, majd az utánkövetési időszakban periapikális röntgenfelvételekkel ellenőriztük az implantátumokat. A fogeltávolítást követően azonnali implantáció történt, az alveolus fala és az implantátum felszíne közt fennmaradó réseket csontpótlóval töltöttük ki. A három hónapos gyógyulás leteltével az ideiglenes koronákat eltávolítottuk, A-szilikonnal lenyomatot vettünk, majd három lítium-diszilikát és egy monolitikus cirkónium-dioxid korona készült. A páciensek utánkövetése mindkét esetben minimum tizenkét hónap volt, amelynek során valamennyi implantátumot klinikailag és radiológiailag is sikeresnek ítéltünk az osszeointegráció, a marginális csont stabilitása és a periimplantáris szövetek egészsége tekintetében.


Bevezetés
A hagyományos titánium fogászati implantátumokhoz képest a fémmentes restauratív megoldások, főként a cirkónium-dioxid implantátumok, egyre nagyobb figyelmet kapnak a fogászati implantológiában jobb esztétikai és biokompatibilitási tulajdonságaik miatt [1, 2]. Bár a titánium alkalmazása széles körű és sikeres, hátrányai közé tartozik, hogy egyes pácienseknél allergiás reakciót és túlérzékenységet vált ki [3]. A cirkónium-dioxid implantátumok fehér színüknek köszönhetően jobban integrálódnak a környező lágyszövetekbe és a természetes fogazatba, különösen az esztétikai szempontból érzékeny területeken és vékony fenotípus esetén [4]. Ezen problémákra kínál megoldást a cirkónium-dioxid, amely egy nagy szilárdságú kerámia, így front- és rágófogak pótlására egyaránt alkal-


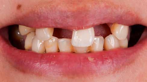
1. a–d. ábrák: Kiindulási klinikai állapot a két páciens esetében: Az első páciensnél a jobb felső premolárisok és az első moláris, a második páciensnél a bal felső második premoláris.
mas. A legújabb tanulmányok szerint a cirkónium-dioxid kiváló mechanikai szilárdsággal és kémiai stabilitással bír, emellett a bakteriális plakkhoz való alacsony affinitása miatt rendkívül biokompatibilis, csökkentve a gyulladás kockázatát. Következésképpen elősegíti a periimplantáris szövetek egészségének megőrzését [5, 6].
Klinikai szempontból a cirkónium-dioxid implantátumok a titánimplantátumokhoz hasonló sikerességi rátákat mutatnak és eredményeik az osszeointegráció tekintetében is ígéretesek [7, 8]. A szakirodalom azonban kiemeli a hosszú távú vizsgálatok szükségességét, különös tekintettel a kerámiaimplantátumok szélsőséges funkcionális terheléssel szembeni ellenálló képességére és komplex rehabilitációban nyújtott teljesítményére. Ennek fényében jelen tanulmány célja 12 hónapos követési idő mellett megfigyelni a felső őrlők helyére beültetett kétrészes kerámiaimplantátumok klinikai és radiológiai eredményeit.



Esetbemutatások
Mindkét páciens 2023 márciusában jelentkezett a brazíliai Rio de Janeiróban található Sobre-Implantes magánklinikán. Fogászati implantátumokkal történő rehabilitációt szerettek volna (azonnali vagy késleltetett implantációval, azonnali ter-



heléssel vagy anélkül). Az első páciensnél gyökérreszorpció miatt szükségessé vált a jobb felső premolárisok és az első moláris eltávolítása (1. a–b ábrák). A második páciensnél a bal felső második premoláris frakturát szenvedett (1. c–d ábrák) Az átfogó tervezést és diagnosztikát CBCT-felvétel segítségével végeztük (2. a–c ábrák), a posztoperatív kontroll és az utánkövetés időszakában pedig periapikális röntgenfelvételeket készítettünk. A jelen tanulmányban résztvevő valamennyi páciens nemdohányzó volt, jó, vagy gyógyszeresen jól karbantartott általános egészségi állapotnak örvendett. A hatékony plakk-kontroll ellenére műtét előtt mindkét páciensnél végeztünk supragingivális depurálást és gyökérsimítást.




3. a–b ábrák: Fogeltávolítást követő alveolus prezerváció. – 4. a–b ábrák: Az implantátumok beültetése.
5. a–b ábrák: A behelyezett implantátumok okkluzális nézetből. – 6. ábra: Az implantátum és a csontpótló anyag.
2. a–c ábrák: Kiindulási CBCT-felvételek.









7. a–b ábrák: Az implantátumok ideiglenes fejei és az azonnali ideiglenes koronák okkluzális nézetből. – 7. c ábra: A bal felső második premoláris ideiglenes koronája. – 8. a–c ábrák: Hagyományos, zárt kanalas lenyomatvétel A-szilikonnal a jobb felső 4–6 implantátumok lemintázására. – 9. a–c ábrák: Hagyományos, zárt kanalas lenyomatvétel A-szilikonnal és folyékony kompozittal.
A műtéti beavatkozás
Minden beteg azonos műtéti beavatkozáson esett át, amelyet antibiotikus profilaxis előzött meg: 2000 mg amoxicillin per os egy órával a műtét előtt. A páciensek 0,12%-os klórhexidin oldattal öblítettek 30 másodpercig, majd 4%-os articainos (1:100 000 adrenalinnal) helyi érzéstelenítést végeztünk.
A fogak eltávolítása minimálinvazív módon történt, amelynek során a parodontális rostokat egy periotom segítségével átvágtuk, így lebenyes feltárásra nem volt szükség (3. a–b ábrák) . Az implantátumokat a frissen eltávolított fogak alveolusaiba ültettük be. A foghúzást követően minden alveolust alaposan ellenőriztünk az endodontiai, vagy parodontális eredetű gyulladásos szövetmaradványok eltávolítása érdekében, majd fiziológiás sóoldattal bőségesen átöblítettük. Megfelelő előfúrást követően a kerámiaimplantátumokat 30 fordulat/perc sebességgel és 35 Ncm behajtási nyomatékkal helyeztük be (4. a–b ábrák) . A réseket csontpótlóval töltöttük ki (Maxresorb ® 0,5–1,0 mm szemcseméret, 0,5 cm 3 térfogat, Straumann ®; 6. ábra ).
Azonnali ideiglenes fogpótlás
A műtétet követően önkötő akrilátból ideiglenes koronákat készítettünk, amelyeket cementtel rögzítettünk a cirkónium-dioxid ideiglenes fejeken (CR Zi Pillar®, 7. a–c ábrák ).
Protetikai beavatkozás
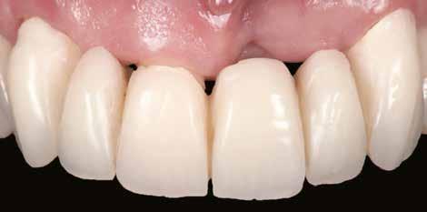
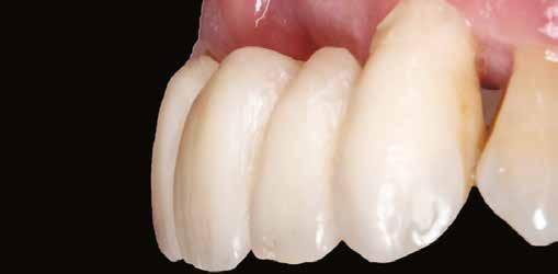
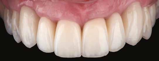
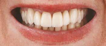
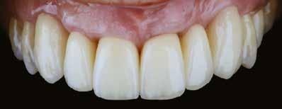
A végleges protetikai ellátást három hónappal az implantációt követően kezdtük meg. Az implantátumok gyógyulása panasz- és tünetmentes volt. Hagyományos, zárt kanalas A-szilikon lenyomatot vettünk (8. a–c ábrák). Egy esetben a gingivális emergenciát sikerült nagy pontossággal lemintázni fényre kötő folyékony kompozit segítségével (Master Flow, Biodinamica; 9. a–c ábrák). Három lítium-diszilikát és egy monolitikus cirkonkorona készült (10. a–b. ábrák), amelyek cementtel rögzültek a végleges protetikai fejeken (Dual RelyX™ U200, 3M; 11. a–b ábrák).
Utánkövetés
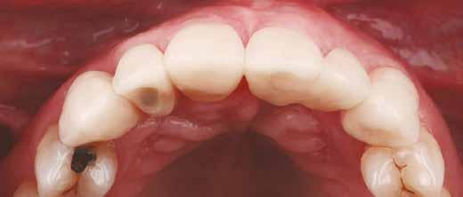
A végleges ragasztást követően röntgenfelvételt készítettünk, amelyet összevetettünk a közvetlenül a műtét után készült felvételekkel: a marginális csontszint változatlan volt. A pácienseket 14 hónapon keresztül rendszeresen visszahívtuk. Klinikai és röntgenvizsgálattal sem tapasztaltunk komplikációt (12. a–b ábrák)
Eredmények
Jelen tanulmány két egészséges páciens összesen négy kerámiaimplantátumát vizsgálta, amelyeket 2023 márciusában ültettek be. Az első páciens egy egészséges negyvenéves férfi volt, aki három implantátumot kapott. A második páciens egy ötvenöt éves nő, akinél egy implantátumot ültettünk be. Mindegyik imp-
MI Diagnosztika
Új dimenzió a CBCT, a fogászati röntgenek és a kefalometriai felvételek diagnosztikájában a MESTERSÉGES
INTELLIGENCIA erejével csak a VIP DENTALBAN!


Dentális státusz elemzése mesterséges intelligencia által CBCT felvételen.


Panorámaröntgen elemzése mesterséges intelligencia által.






Kefalometriai elemzés és pontbejelölés mesterséges intelligencia által.
Legyen az Ön rendelője a fogászati ellátás innovatív központja, és velünk együtt biztosítsa a legmagasabb szintű diagnosztikai szolgáltatást az MI által támogatott elemzésünkkel.
4,8-as átlag

lantátum 4,3 mm átmérőjű és 13 mm hosszúságú volt. A behajtási nyomaték mind a négy esetben 35–40 Ncm tartományban volt, amely lehetővé tette az azonnali terhelést. Tizenkét hónap elteltével egyik implantátumnál sem tapasztaltunk csontfelszívódást, a kemény- és a lágyszövetek stabilitása kielégítő volt.
Megbeszélés
Tanulmányunk célja összesen négy, rágó területre beültetett kétrészes Zi ceramic implant® kerámiaimplantátum (Neodent) teljesítményének értékelése volt. A legalább tizenkét hónapos utánkövetés alatt egyetlen esetben sem tapasztaltunk technikai vagy biológiai szövődményt, amely bizonyítja az implantátum osszeointegrációjának klinikai és radiológiai sikerét, valamint a lágy- és keményszövetek volumenének stabilitását. Eredményeink összhangban vannak más, azonos implantátumokkal és hasonló utánkövetési periódussal készült tanulmányok tapasztalataival [8, 10]. Korábbi, állatokon végzett vizsgálatok kimutatták, hogy a cirkónium-dioxid implantátumok osszeointegrációja megbízható és biztonságos, még különböző terhelési viszonyok mellett is [11, 12]. Mint azt korábban említettük, jelen tanulmányban mind a négy implantátum sikeresen osszeointegrálódott a vizsgált tizenkét hónap alatt.
Medentika® ÉLETHOSSZIG TARTÓ GARANCIA

Korábbi tanulmányok kimutatták, hogy a cirkónium-dioxid felületek hajlama a biofilmképződésre kisebb, mint a titánfelületeké [13]. Jelen vizsgálatban gyulladásos folyamatoktól mentes és egészséges megjelenésű periimplantáris szöveteket lehetett megfigyelni (12. a–b ábra). Egy másik, a jelen tanulmányban alkalmazott implantátumrendszerrel végzett prospektív klinikai vizsgálat kimutatta, hogy legalább tizenkét hónapos utánkövetés mellett sem volt tapasztalható kóros elváltozás a periimplantáris lágyszövetekben [8]. Ugyanez a tanulmány, egy további prospektív klinikai vizsgálat, valamint saját eredményeink egybehangzóan azt mutatják, hogy a marginális csont szintje a megfigyelt idő alatt stabil volt [8, 10, 14]. Az itt bemutatott két páciens kerámiaimplantátumokat kapott a felső moláris régióba. Komplikációkat, mint például az implantátum vagy a felépítmény törése, nem tapasztaltunk. Ez a tény megerősíti más tanulmányok megállapításait is, amelyek szerint a kerámia fogászati implantátumok gyártására az ittriummal stabilizált cirkónium-dioxid (YTZP) a legalkalmasabb. Az YTZP esztétikai és biológiai előnyei mellett a korrózióval, kopással és rágóerőkkel szembeni nagyfokú ellenálló képessége is kimagasló [15]. Érdemes megemlíteni, hogy jelen tanulmány tizenkét hónapos követési időszakot ölel fel, amely rövidnek számít. Azonban ezen időszak alatt nem tapasztaltunk klinikai vagy biológiai szövődményt, külö-


IS ELÉRHETŐ IPS Magas Precizitású Implantációs RendszerInnovatív Komponensek


PRECIZITÁS
Német mérnökök és fogászati szakemberek dolgoznak együtt, hogy tökéletes protetikai rendszert alkossanak.
GYORSASÁG
Idő- és pénzmegtakarítás a fogtechnikusok és a fogorvosok számára.


nös tekintettel az implantátumok körüli
Következtetések
MADE IN GERMANY Tradicionálisan magas minőség.
10. a ábra: Végleges lítium-diszilikát koronák. – 10. b ábra: Végleges monolitikus cirkónium-dioxid korona. – 11. a–b ábrák: Klinikai megjelenés tizenkét hónap elteltével. 12. a–b ábrák: Tizenkét hónapos kontrollröntgen-felvételek.
Figyelembe véve az itt bemutatott esetek korlátait, tizenkét hónapos utánkövetés eredményei alapján az alkalmazott kétrészes cirkónium-dioxid implantátumrendszer biztonságos és megbízható alternatívát jelent a moláris fogak rehabilitációjában. Megállapításaink alátámasztására további vizsgálatokra van szükség, az itt bemutatott eseteket továbbra is figyelemmel kísérjük.
PIACVEZETŐ MÁRKAKOMPATIBILIS GYÁRTÓ Az összes ismert implantátum rendszerrel kompatibilis.
Forrás: EDI Journal 2024/3 A hivatkozott irodalomjegyzék listája szerkesztőségünkben elérhető.


MÁR MAGYARORSZÁGON IS ELÉRHETŐ IPS
MEDENTIKA IMPLANTÁTUMOK
Magas Precizitású Implantációs RendszerInnovatív Komponensek


Ne hagyj ki egy ilyen lehetőséget! Óriási kedvezmények induló készletünkre!

Ez az esettanulmány azt mutatja, hogy az All-on-4
betegek számára, akiknél a maxilla erősen atrofizált.
ellenére a módszer hatékony rehabilitációt tesz megoldást nyújtva a betegeknek. Az All-on-4 protokoll implantátumot használ a teljes fogívre kiterjedő
csökkenti a csontpótlás és egyéb

All-on-4 hibrid módszer jó kezelési lehetőség azon atrofizált. A kiterjedt csonthiány okozta kihívások tesz lehetővé, funkcionális és esztétikailag kielégítő protokoll mindössze négy, stratégiailag elhelyezett fogpótlás megtámasztására, amely minimálisra invazív beavatkozások szükségét.
Dr. Armando Lopes, dr. Diogo Santos, dr. Carlos Moura Guedes (Portugália)
A FOGATLAN FELSŐ ÁLLCSONT FIX REHABILITÁCIÓJA
A zygoma implantátumok extramaxillaris beültetése és azonnali terhelése jó alternatíva azoknál a betegeknél, ahol a rendelkezésre álló csont volumene elégtelen. Jelen cikk egy klinikai esetet mutat be, ahol egy hölgypáciensnél, a maxilla atrofiája miatt, a felső rögzített implantációs fogpótlást egy hibrid, All-on-4 módszerrel valósítottuk meg. A módszer előnyei a hagyományos terápiás lehetőségekhez képest: kiszámíthatóbb, egyszerűbb és magasabb a sikerarány.
Bevezetés
A súlyosan atrofizált maxilla rehabilitációjában a zygoma implantátumok használata jó kezelési alternatíva [1-3]. Eliminálja a donorterület morbiditásának problematikáját, csökkenti a sebészi és a protetikai ellátás költségeit, ugyanakkor magas pácienselégedettséget eredményez [4, 5].
A zygoma implantátumokról általában elmondható az irodalmi adatok alapján, hogy a szövődmények kockázata alacsony. Leggyakoribbak az arcüreggyulladás [1, 2, 6-10], a mechanikai [10, 11], illetve kisebb mértékben a funkcionális komplikációk [12, 13]. Ezen szövődmények kapcsolatban állhatnak az implantátumok beültetésének hagyományos, sebészi technikáival [14]. Az úgynevezett belső technikánál [15] például az implantátumot az arcüregen keresztül helyezik be, ennek következtében nőhet az arcüregi szövődmények kockázata, illetve a fogpótlás kiterjedése az implantátumok palatinális kilépése miatt nagyobb lesz. Az extramaxillaris sebészi technika célja a fent említett korlátok áthidalása.
A zygoma implantátumok a maxillán kívül futnak, a sinus maxillaris oldalfalán kívül, majd apikálisan rögzülnek a járomcsontban. A középső harmadában felszínüket csupán nyálkahártya borítja [16], így a Schneider-membrán épsége megtartott és a fogpótlás oro-vestibularis kiterjedése csökkenthető, mivel az implantátumok kilépése vestibularisabb, mint a belső technikánál. Jelen esetismertetés célja, hogy bemutassa az atrofiás felső állcsontba extramaxillaris technikával behelyezett zygoma és standard implantátumokon elhorgonyzott, rögzített protetikai rehabilitáció rövid távú eredményeit.
Esetismertetés
A 64 éves kaukázusi nőpáciens 2004 óta áll gondozásunk alatt, az alsó fogíven sikeres All-on-4 kezelésen van túl (1. ábra). Felső állcsontja több mint harminc éve fogatlan, de erősen motivált a sebészi rehabilitációra. A páciens elsődleges célja egy fix fogpótlás volt, amely helyreállítja a rágófunkciót és az esztétikus megjelenést (2. ábra).
A javasolt kezelési terv, amelyet 2024 februárjában ismertettünk a pácienssel, a maxilla All-on-4, hibrid technikával történő teljes rehabilitációja volt. A maxilla feltárását mucoperiostealis, gerincéli metszésből kezdtük, amelyet mindkét oldalon enyhén palatinálisan, a szemfogaktól a második molárisokig vezettünk. Az első molárisok területén segédmetszést ejtettünk, hogy hozzáférést nyerjünk a járomcsonthoz. A teljes vastag lebenyt egy teljes fogívre kiterjedő



sebkampóval (Carl Martin) stabilizáltuk, így téve szabaddá a járomcsont alsó szélét, illetve a masseter tapadását a járomíven (distalis határ). Egy zygoma kampó (Carl Martin) segítségével eltartva a lágyrészeket, szabaddá tettük a járomcsont corpusát (3. ábra). Ezt követően az implantátum helyét mindkét oldalon bejelöltük egy gömbfúróval, a lehető legdistalisabb pozícióban, hogy minimalizáljuk a szabadvégek kiterjedését. Elvégeztük a 2,9 mm átmérőjű előfúrást (Nobel Biocare), ellenőriztük a furat mélységét, majd folytattuk a preparálást a 3,5 mm-es, a 4,0 mm-es és a 4,4 mm-es előfúrókkal (Nobel Biocare). A lágyrészek eltartásával és védelmével igyekeztünk elkerülni az orbita alap és szemüreg képleteinek sérülését.
Mindkét kvadránsba behelyeztünk (>50 Ncm behajtási nyomatékkal) egy-egy 5 mm átmérőjű és 42,5 mm hosszúságú implantátumot (Nobel Zygoma 0°, Nobel Biocare), a második nagyőrlők helyére (4. ábra). Az implantátumok tengelyállásának kompenzálására 45°/6 mm magasságú tengelykorrekciós multi-unit fejeket használtunk (Multi-Unit Abutment, Nobel Biocare), amelyeket 30 Ncm nyomatékkal húztunk meg [17].
A frontrégióban (1.3 és 2.1) egy-egy 3,3 mm átmérőjű és 11,5 mm hosszúságú implantátumot (Nobel Speedy Groovy, Nobel Biocare) helyeztünk be, szintén >50 Ncm behajtási nyomatékkal, amelyekre 3 mm (1.3 helye) és 2 mm (2.1 helye) magas multi-unit fejek (Multi-Unit Abutment, Nobel Biocare) kerültek, 25 Ncm nyomatékkal meghúzva (5. ábra). A lebenyeket visszafektettük, majd a műtéti területet varrattal zártuk (4/0 selyem; B. Braun Medical; 6. ábra).
A páciens meglévő, PEEK fogsorát szájban adaptáltuk, kialakítva egy azonnali, rögzített, ideiglenes fogpótlást. Ezt köve-



2. ábra: A maxilla preoperatív intraorális képe okkluzális nézetből.
3. ábra: Intraorális kép a zygoma alsó felszínéről.
4. ábra: Intraorális okkluzális felvétel a 42,5 mm hosszú zygoma implantátum 0°-os behelyezéséről a második kvadránsban, a lebeny eltartása körkampóval és zygoma kampóval (Carl Martin) történik.
5. ábra: Az All-on-4 hibrid protokoll alapján pozicionált implantátumok és multi-unit fejek intraorális, okkluzális nézetből.
6. ábra: Sebzárást követő okkluzális felvétel.
tően a fogsor kidolgozásra került a laborban, majd a műtét után szájba helyeztük, így biztosítva az azonnali funkciót (7–8. ábra).
A műtétet követő tizedik napon a varratokat eltávolítottuk, zavartalan sebgyógyulást tapasztaltunk. A pácienssel kontrollidőpontokat egyeztettünk kettő, négy és hat hónapos visszahívási ütemezésben (9. ábra)


7. ábra: Extraorális felvétel a mosolyról az ideiglenes rögzített fogpótlás átadását követően.
8. ábra: Intraorális felvétel az ideiglenes rögzített fogpótlás okkluzális felszínéről, átadást követően.
Megbeszélés
Jelen klinikai eset szemlélteti egy súlyosan atrofiás maxilla rögzített fogpótlással történő rehabilitációjának rövid távú eredményeit, amely során két extramaxillarisan beültetett zygoma implantátumon és 45 fokos tengelykorrekciós fejen, és két hagyományos implantátumon került elhorgonyzásra egy azonnal funkcióba helyezett fix fogpótlás. A protetikai munka, az implantátumok és a fejek sikeraránya is magasnak bizonyult. Ez az eljárás számos előnnyel rendelkezik az egyéb terápiás lehetőségekkel, név szerint a csontaugmentációval szemben: kiszámíthatóbb, egyszerűbb, magasabb a sikerarány, nagyobb a páciens komfortérzete, esztétikusabb a végeredmény és azonnal biztosítható egy alacsony bekerülési költségű, ideiglenes fogpótlás [6, 18, 19]. Az extramaxillaris All-on-4 hibrid eljárás legnagyobb előnye például a csípőlapátból történő csontátültetéssel szemben a magasabb sikerarány. Az extra hosszú implantátumok maxillába, illetve zygomába való extramaxillaris behelyezése lehetővé teszi az anatómiai korlátok leküzdését és új lehetőségeket nyit a rögzített implantációs fogpótlások készítésére, extrém körülmények között.
Hangsúlyoznunk kell, hogy a teljesen fogatlan eseteknél az implantátumokkal való rehabilitáció előzetes megtervezése kiemelkedően fontos. Ez történhet preoperatív (anamnézis, klinikai vizsgálat, képalkotók segítségével), intraoperatív (irányított vagy nem irányított, ezenbelül statikus vagy dinamikus sebészi módszerekkel), vagy posztoperatív (megfelelően ütemezett utókezeléssel) módon.
Következtetések
Ez az esettanulmány azt mutatja, hogy az All-on-4 hibrid módszer jó kezelési lehetőség azon betegek számára, akiknél a maxilla erősen atrofizált. A kiterjedt csonthiány okozta kihívások ellenére a módszer hatékony rehabilitációt tesz lehetővé, funkcionális és esztétikailag kielégítő megoldást nyújtva a betegeknek. Az All-on-4 protokoll mindössze négy, stratégiailag elhelyezett implantátumot használ a teljes fogívre kiterjedő fogpótlás megtámasztására, amely minimálisra csökkenti a csontpótlás és egyéb invazív beavatkozások szükségét.
Forrás: Implants 2024/4
A hivatkozott irodalomjegyzék listája szerkesztőségünkben elérhető.

9. ábra: Posztoperatív panorámaröntgen.








PRÉMIUM







BEFEKTETÉS 20+ ÉVRE PRÉMIUM GARANCIÁVAL!
Legalacsonyabb üzemeltetési költség (1,97%) Leghosszabb garancia (10 év) Stabil, folyamatos, megbízható működés - digitális vagy más fejlesztések stabil háttere











A-dec/NSK elektromos, nyomaték szabályozott LED-es, ENDO funkciós mikromotor, rpm 100-40000




























Ebben az A-dec páratlan!
10 év garancia
Varrott kárpit
Varrás nélküli kárpit
Érintés nélkül is működik
Dr. Frank Zastrow (Németország)
AZONNALI IMPLANTÁCIÓ ÉS EGYIDEJŰ
VERTIKÁLIS CSONTPÓTLÁS
A hangár technika alkalmazása maxilláris vertikális defektusok ellátására
A súlyosan károsodott fogazat megtartó kezelésének leghatékonyabb módja a lehető legtöbb természetes fog megőrzése. Mivel azonban ez a cél sokszor csak magas költségek árán és bizonytalan prognózis mellett érhető el, sok páciens fogai eltávolítása és implantátumokkal történő pótlása mellett dönt. A szakirodalmi ajánlások szerint ehhez a teljesen fogatlan állcsontban, konzervatív megközelítéssel élve, minimális számú implantátum beültetésére van csak szükség: négyre a mandibula és négyre vagy hatra a maxilla esetében.
A 61 éves női páciens a reménytelen prognózisú jobb felső első kisőrlője miatt kereste fel klinikánkat. Kezelési tervében a 1.4 fog eltávolítását és megfelelő implant-protetikai ellátá-

sát javasoltuk. Jelen esetben szükség volt kiegészítő vertikális csontaugmentációra, amelyet az ún. hangár technikával, kizárólag saját csont felhasználásával végeztünk. Csont graftot a mandibula retromoláris régiójából nyertünk, szemilunáris a technika (SLT, semi-lunar technique) és az Easy Bone Collector segítségével. A hangár technika lehetővé teszi, hogy az implantátumot vertikális augmentációval egyidejűleg, az okkluzálisan rögzített csontlemezen keresztül helyezzük be. A módszer a repülőgéphangárról kapta a nevét, amelyet kimagasló szilárdság és íves boltozat jellemez.
Bevezetés

A fogeltávolítás és a köteges csont felszívódása kifejezett csontatrófiát eredményezhet [1-3]. Ezen csontdefektusok rekonstruálásán alapszik az egészséges szöveti viszonyok tartós helyreállítása és a protetikai rehabilitáció sikere. Az új implantátum befogadására alkalmas dimenziókkal rendelkező csontos terület létrehozása történhet autológ csonttal, csontpótló anyaggal vagy a kettő kombinációjával [4, 5]. Jelen esetben tisztán autológ csontot használtunk. A minimálinvazív csontnyerés érdekében az Easy Bone Collectort és a szemilunáris technikát alkalmaztuk, amelynél nem szükséges a kinyert csontlemezek feldarabolása. Ezek a lemezek íves széllel rendelkeznek, amely csökkenti a graft expozíció veszélyét. A csontlemezek előkészítése és a defek-





3. ábra: Intraorális kiindulási állapot. – 4. ábra: A terület intraorális nézetből. 5. ábra: A lebenyes feltárást követően laterális és vertikális csonthiány látszik a 1.4 területén. – 6. ábra: Az Easy Bone Collector egy egyedi műszer, amely trepánfúrót, belső hűtést, kerámia csapágyakat és integrált lágyrészvédelmet tartalmaz. Mindez megkönnyíti a csontlemezek eltávolítását. – 7. ábra: A semilunaris technika és az Easy Bone Collector együttes alkalmazása több kortikális csontlemez kinyerését teszi lehetővé a retromoláris régióból.
tus rekonstruálása a Khoury professzor által leírt technikát követi [6, 7].
A bemutatott eset különlegessége, hogy a hangár technikának köszönhetően lehetséges a vertikális csontpótlás és az implantáció egyidejű elvégzése.
A hangár technika során használt csontlemezek formája eltér a hagyományos, hasításos csontblokk technikában (SBBT, split bone block technique) alkalmazott lemezekétől. Ennek oka, hogy a graft nyerése során használt trepán íves lemezszélt eredményez. Ez a módszer, amelyet az Easy Bone Collector (EBC) tesz lehetővé, szemilunáris technika néven ismert.
Javasolt, hogy a lehető legpontosabban ragaszkodjunk a hangár technika műtéti protokolljához. Miután a csontlemezeket oszteoszintézis csavarokkal rögzítettük, az okkluzális csontlemezt egy trepán fúróval átfúrjuk (lehetőleg az implantátum átmérőjével megegyező méretben), majd az imp-
lantátumot ezen a nyíláson keresztül helyezzük be a korábban előfúrt helyre, amelyet előtte autológ csontrészecskékkel töltünk fel.
Bár a Khoury-technikával kapcsolatban majdnem harmincévnyi klinikai tapasztalat és irodalmi adat áll rendelkezésünkre, a szemilunáris technika meglehetősen újnak számít.
A Khoury professzor által leírt [6, 7], úgynevezett hasításos csontblokk technika lényege, hogy a mandibula retromoláris régiójából vett csontblokkot feldaraboljuk, és az így kapott lemezeket az alveolaris gerinchez rögzítve létrehozzuk az implantátumokat befogadó területet.
Az eset
A tervezett kezelés célja, hogy megfelelően helyreállítsuk a kemény- és lágyszöveteket, valamint protetikailag is reha-

8. ábra: A CBCT-felvételen látszik a nervus alveolaris inferior lefutása, amely meghatározza a kinyerhető csontlemez maximális hosszát.
bilitáljuk a pácienst egy implantátumon elhorgonyzott koronával.
A csontdefektus helyreállítását a Khoury-technika szerint végeztük, amelynek a során az előzetesen kinyert és előkészített csontlemezt meghatározott pozícióban rögzítettük, oszteoszintézis csavarokkal. A premoláris régióban ajánlott a legalább 7 mm-es gerincszélesség biztosítása, hogy megfelelő méretű implantátumot lehessen beültetni. Az autológ csontpótlási eljárások egyik előnye, hogy nem igényel „túlaugmentálást”, mivel a graft felszívódásának esélye minimális. A meglévő üreget a csontlemezek elvékonyításából nyert csontforgáccsal töltöttük fel, a biológiai autológ csontpótlás elveinek megfelelően. A módszer annyiban különbözik a kortikálisból kivett blokkok használatától, hogy


a graft nagyobb felületének köszönhetően, nagyobb felszínen érintkezik az erekkel, így jobb a tápanyagellátása és gyorsabb a revaszkularizáció.
Protetikai ellátás
Nyitott kanalas lenyomatvételt követően a labor elkészítette a mestermintát, amelyre CAD/CAM eljárással kobalt-króm váz készült, amelyet végül kerámiával lepleztek.
A korona átmenő csavarral rögzült, hogy megelőzzük a túlfolyó ragasztócement okozta periimplantitis kialakulását.
A periimplantáris lágyszövetekben, a végső klinikai képen, irritációra utaló jel nem látható, a keratinizált íny szélessége kielégítő.
Megbeszélés
A hangár technikának köszönhetően jelen esetben az implantációval egy időben elvégezhető volt az augmentáció.
A technika lehetővé teszi, hogy az implantátumot közvetlenül az okkluzálisan rögzített csontlemezen keresztül helyezzük be.


9. ábra: A csontlemezek jellegzetes, félhold vagy sarló alakúak. Innen ered a technika elnevezése.
10. ábra: A lemezek vastagsága mindössze 2,1 mm, amely szükségtelenné teszi a további elvékonyítást.
11. ábra: Lehetőség van több lemez vételére, egymás melletti területekről.
12. ábra: A linea obliqua externa körüli alveoláris gerincdomborulat miatt a csontlemez az Easy Bone Collector kamrájába kerül. A trepánfúró oldalán lévő nyílások megkönnyítik a lemez eltávolítását az eszközből. 9 11 10 12







13. ábra: Az eltávolítást követően a lemezeket a Safescraper segítségével tovább vékonyíthatjuk. – 14. ábra: A csontlemezt (domború oldalával felfelé) oszteoszintézis csavarral rögzítjük, majd a behelyezendő implantátumnak megfelelő átmérőjű trepánfúróval perforáljuk. – 15. ábra: A hézagokat autológ csontszemcsékkel töltjük ki. – 16. ábra: A csontszemcséket a defektus kontúrján belül helyezzük el. – 17. ábra: Visszahelyezzük az okkluzális csontlemezt. – 18. ábra: Gondoskodni kell az okkluzális csontlemez stabil rögzítéséről. – 19. ábra: Az implantátumot subcrestalisan helyezzük be, majd behelyezzük a zárócsavart.
A GBR és az autológ csont alkalmazásának indikációit a szakma egyértelműen meghatározta az Európai Fogászati Implantológiai Szövetség (BDIZ EDI) nyolcadik Európai Konszenzus Konferenciáján. A BDIZ EDI hét ország szakértőivel együttesen megvitatta a szájüregi csontpótlás jelenlegi helyzetét, és kidolgozta az Alveoláris Gerincdefektusok Kölni Osztályozását (Cologne Classification of Alveolar Ridge Defects, CCARD).
A korábbi osztályozások (Cawood és Howell, 1983; Seibert és mtsai., 1988) nem vették kellőképpen figyelembe a defektu-
sok elhelyezkedését és nagyrészt figyelmen kívül hagyták a szöveti környezetet. Nyilvánvaló, hogy a defektust határoló falak száma és állcsonthoz való viszonyuk nagyban befolyásolja az augmentáció sikerét. A csontos fallal határolt defektusok könnyebben rekonstruálhatók (Khoury, Antoun és mtsai., 2007), mint a kiterjedt, falak nélküli defektusok (Araújo, Sonohara és mtsai., 2002). Ez közvetlen hatással van az augmentáció hosszú távú sikerére. A konszenzus dokumentáció ajánlása szerint augmentáció során a csontpótló anyaghoz lehetőség szerint mindig ke-

20. ábra: Jelen esetben – okkluzálisan – egyetlen oszteoszintézis csavart használtunk.




21. ábra: A hangár technika okkluzális nézetből. – 22. ábra: A posztoperatív panorámaröntgen, amelyen látszik a jobb felső kvadráns augmentált területe. A hangár technika lehetővé tette az augmentáció és az implantáció egyidejű elvégzését. 23. ábra: A feltárás és a gyógyulási fej behelyezése. – 24. ábra: A feltárást követően készült panorámafelvétel, amelyen a gyógyulási fej látható.
verni kell autológ csontot is, hogy növeljük a graft oszteogenetikus potenciálját.
Közepes és nagy kiterjedésű defektusoknál csontpótló és membrán együttes alkalmazásakor nagyobb a sebszétnyílás és a felülfertőződés kockázata, mint az autológ csontblokkok esetében ( Chiapasco, Abati és mtsai., 1999).
Az oszteokonduktív anyagokkal végzett augmentációt vertikálisan, még autológ csonttal kombinálva is maximum 4 mm-es magasságig szabad kiterjeszteni (Canullo, Trisi és mtsai., 2006).
Közepes és nagy (8 mm-nél nagyobb) defektusokat vertikálisan „túl kell építeni” a defektus határán. A CCARD egyértel-

műen kimondja, hogy minden ilyen esetben használni kell autológ csontot is.
Egy másik, 2019-ben készült tanulmány 142 betegnél vizsgálta a felső állcsontban végzett vertikális csontaugmentációk 10 éves utánkövetéses eredményeit. Átlagosan 7,6 mm vertikális és 8,3 mm horizontális nyereséget mutattak ki, illetve csupán 0,63 mm csontveszteséget mértek ( Khoury , 2019). Vizsgálataink alapján egyértelmű, hogy még vertikális augmentáció esetén is stabil és hosszú távú eredmény várható, tisztán autológ csont felhasználása mellett is.
A szerző meggyőződése, hogy ezt az évek óta bevált és sikeres módszert nem szükséges xenogén csontpótló anyagok-

25. ábra: A végleges fogpótlás átadása. – 26. ábra: A végleges fogpótlás okkluzális nézetből.

kal és membránokkal kiegészíteni, amelyek csupán veszélyeztetnék az eredményt a graftkilökődés és sebszétnyílás kockázatának növelésével.
Az itt bemutatott protokoll lehetővé teszi a vertikális csontdefektusok biztonságos rekonstrukcióját, pusztán autológ csont felhasználásával, valamint a protetikai, esz-
tétikai és funkcionális rehabilitációt egy rögzített, implantátumon elhorgonyzott, átmenő csavaros fogpótlással.
Forrás: EDI Journal 2024/3 A hivatkozott irodalomjegyzék listája szerkesztőségünkben elérhető.

27. ábra: A végleges fogpótlás átadását követő panorámafelvétel.
Prof. Hendrik Terheyden (Németország)
JELENTŐS MÉRETŰ CSONTPÓTLÁSOK:
KORSZERŰ SEBÉSZETI TECHNIKÁK
ÉS BIOKOMPATIBILIS ANYAGOK ALKALMAZÁSA
A modern szájsebészeti eljárások és a korszerű, biokompatibilis anyagok, valamint autológ csontgraftok használata lehetővé teszik implantátum behelyezését olyan esetekben is, amikor jelentős csonthiány áll fenn, természetesen a megfelelő sebészi technika és a páciens általános egészségi állapotának gondos mérlegelése mellett.
A csontpótlás célja ma már túlmutat az implantátumok oszszeointegrációjának elősegítésén. A legfontosabb célkitűzések közé tartozik: az esztétikai megjelenés helyreállítása, a protetikai funkció optimalizálása, valamint az implantátum hosszú távú sikerességének a biztosítása.
A megfelelő csontvolumen kialakításával elkerülhető a túlzottan hosszú koronák kialakulása – például a felső állcsont meziális régiójában –, elősegíthető a precíziós lenyomatvétel, illetve elkerülhető az excentrikus furatok kialakulása, amely nem tengelyirányú implantátumbehelyezésből adódik. Ha az implantátumot teljes mértékben körülveszi a csont, mind a mechanikai, mind a biológiai prognózis kedvezőbb.

Ellenjavallatok
A biszfoszfonátokkal vagy egyéb csontreszorpciót gátló szerekkel végzett gyógyszeres terápia, valamint a daganatos eredetű megbetegedés következtében sugárkezelés komoly kockázati tényezőt jelent a sebészeti beavatkozások szempontjából, különös tekintettel az osteonecrosis kialakulására.
Teljesen fogatlan felső állcsont esetén a csontpótlás alapvető feltétele a megfelelő protetikai alátámasztásnak, például a tetragonális vagy hexagonális támaszrendszer kialakításának, amelynél a nagy anterior-posterior támaszköz és az optimális erőátviteli szög döntő jelentőségű. Súlyos atrófia esetén a csontpótlás elősegíti az okklúziós pozíció helyreállítását és az arc mimikai izmainak megtámasztását, ezáltal javítva az arcesztétikát is.
Tervezés
és kompromisszum-
mentes megközelítés
A csontpótló műtétek sikeressége nagyban függ a precíz tervezéstől, amely során elengedhetetlen az indikációs határok és az ellenjavallatok figyelembevétele (1. táblázat)
Bár egyes esetekben alkalmazhatók alternatív megoldások, például rövidebb, döntött vagy zygoma-implantátumok, ezek gyakran komplex, kompromisszumos protetikai megoldásokhoz vezetnek. Egy gondosan kivitelezett csontpótlás azonban lehetővé teszi az implantátumok ideális, axiális behelyezését, támogatva a precízen illeszkedő, hosszú távon is funkcionáló pótlások készítését.
Indikációs korlátozások
Bizonyos szisztémás tényezők – mint a rendszeres dohányzás vagy a diabetes mellitus – hátrányosan befolyásolhatják a sebgyógyulást és növelhetik a posztoperatív szövődmények rizikóját, ezért ezek figyelembevétele a kezelési terv összeállításakor elengedhetetlen.
1. táblázat: Mire kell ügyelni a kezelés előtt?
Csontpótlási technikák és sebészi kihívások
A választott technika a csontdefektus típusától függően alkalmazható inlay, interpozíciós, appozíciós vagy onlay oszteoplasztika (1. ábra). A defektus kiterjedésének növekedésével párhuzamosan nő a sebészi komplexitás, különös figyelmet fordítva a graft megfelelő lágyrészfedésére és a seb dehiszcencia megelőzésére.
Kiterjedt defektusok esetén a graft biológiai aktivitása kulcsfontosságú. Autológ graft esetén – különösen ha csontszűrővel nyert anyagról van szó – megnövekedett infekciós kockázattal kell számolni, ezért szigorú, antiszeptikus protokoll betartása szükséges.


Az angiogenezis jelentősége
A kizárólag xenogén vagy szintetikus anyagokból felépített, vertikális augmentációk hosszú távú sikere jelenleg nem jósolható meg pontosan. Ennek fő korlátja az angiogenezis, vagyis az új kapillárishálózat kialakulása, amely jellemzően csak néhány milliméterre terjed a natív csonttól. A csonttól távolabb eső graftzónák gyakran fibrotikus szövettel gyógyulnak, a valódi csontregeneráció helyett.
Szendvics technika és csontrepesztés (split)
Csontállományon belüli deffektus esetén kiemelkedő eredmények érhetők el inlay vagy interpozíciós technikákkal, ahol a graftot minden oldalról érképződés támogatja („szendvics technika”), csökkentve ezáltal a reszorpció kockázatát (2. ábra)
A Schwing-féle interpozíciós csontpótlás lehetővé teszi keskeny, penge alakú állcsontgerincek mérsékelt kiszélesítését és vertikális magasságának növelését (3. ábra).
A graft reszorpciójának kezelése
Irodalomjegyzék
1. Chiapasco M, et al.: Int J Oral Maxillofac Implants 2009; 24 Suppl: 237–59.
2. Wiltfang J, et al.: Clin Oral Implants Res 2014; 25(2): e127–32.
3. Schwarz F. et al.: Clin Oral Implants Res 2008; 19(4): 402–15.
4. Buser D, et al.: J Dent Res 2013; 92(12 Suppl): 176S–82S.
5. Jenssen SS, Terheyden H: Int J Oral Maxillofac Implants 2009; 24 Suppl: 218–36
A reszorpció mértéke csökkenthető az autológ csontblokkok Geistlich Bio-Oss® granulátummal történő lefedésével, valamint Geistlich Bio-Gide® kollagén membrán alkalmazásával. A Bio-Oss® az oszteoklaszt-aktivitás szabályozásával stabilizálja a csontvolument, míg a Bio-Gide® fizikai gátként funkcionál a lágyrész elburjánzásával szemben anélkül, hogy akadályozná a vaszkularizációt.
Hosszú távú eredmények és kilátások
Az augmentált csontba helyezett implantátumok 5 éves túlélési aránya meghaladja a 95%-ot, amely megegyezik a natív csontba helyezett implantátumok eredményeivel. Prospektív, CBCT-alapú vizsgálatok szerint mind a blokk grafttal, mind a membrán technikával (GBR) végzett alveoláris augmentátumok térfogata 5 évig stabil marad.
A Le Fort I típusú, interpozíciós csontpótlások túlélési aránya eléri a 94,5%-ot. Tízéves, követéses adatok azt mutatják, hogy megfelelő rágóerő-terhelés esetén az augmentált csont hosszú távon stabil marad, míg terhelés hiányában akár teljes graft-reszorpció is előfordulhat.
A csontpótlás a gyakorlott sebészek számára ma már kiszámítható és rutinszerű beavatkozássá vált. A jövő kulcsa a szövetépítési megközelítések és újgenerációs bioanyagok integrálása a napi klinikai gyakorlatba.
A szabad csontblokkok beépülése „creeping substitution” és belső reszorpció révén zajlik, ugyanakkor a felszíni reszorpció volumenvesztéshez vezethet, amely hátrányosan befolyásolja a klinikai kimenetelt. Jelentős méretű csípőcsont-transzplantátumok esetében a reszorpció mértéke akár 40%-os is lehet.
6. Jung RE, et al.: Clin Oral Implants Res 2013 Dec 2. [Epub ahead of print]
7. Pieri F, et al.: Int J Oral Maxillofac Implants 2013; 28(1): 270–80.
8. Chiapasco M, et al.: Clin Oral Implants Res 2007; 18(1): 74–85.
9. Boven GC, et al.: Int J Oral Maxillofac Surg 2014; 43(5): 626–32.
10. Stellingsma K, et al.: Clin Oral Implants Res 2014; 25(8): 926–32.
11. Sbordone C, et al.: J Oral Maxillofac Surg 2012; 70(11): 2559–65.












alphaimplant. hu
Dr. Leon Pariente, dr. Karim Dada (Franciaország)
AZ IMPLANTÁTUMELHORGONYZÁSÚ
RESTAURÁTUMOK
SIKERE
HOSSZÚ TÁVÚ
AZ ESZTÉTIKAI ZÓNÁBAN
Kilencéves követéses esetbemutatás
A fogászati implantátumok forradalmasították a protetika területét, biztonságos megoldást kínálva a hiányzó fogak pótlására. Az implantációs kezelés sikere a körültekintő tervezésen, a precíz sebészi technikán és a megfelelő utógondozáson múlik. Az esztétikai zónában a páciens elégedettsége szorosan összefügg a fogpótlás megjelenésével, ezért az optimális eredmény elérése itt még kritikusabb.
Az implantátumok hosszú távú sikerének egyik meghatározó eleme a megfelelő implantátumrendszer kiválasztása. A Straumann® BLT implantátumok, amelyeket szabadalmaztatott Roxolid® anyaguk és SLActive® felszínük jellemez, csontintegrációs potenciáljuk és stabilitásuk miatt kaptak kiemelt figyelmet.1,2 Ezek az implantátumok a természetes foggyökér formáját imitálják, apikális átmérőjük kisebb, mint a nyaki részen. Formai kialakításának bizonyított előnye, hogy rossz csontminőség esetén is növeli a primer stabilitást a kortikális csont kompresszióján keresztül, illetve csökkenti a csontperforáció veszélyét.3
Ez az esetismertetés két, az esztétikai zónában elhelyezett Straumann® BLT implantátum kilencéves utánkövetését mutatja be, vizsgálva a klinikai teljesítményt, a periimp-

lantáris szövetek egészségét és a páciens elégedettségét. Az élettartam és az esztétikai eredmények rávilágítanak, hogy a hosszú távú siker eléréséhez nélkülözhetetlen a gondos kezeléstervezés és kivitelezés.
Kiindulási helyzet
A páciens egy 56 éves nőbeteg, nem dohányzik, általános egészségi állapota jó (ASA I), gyógyszert nem szed, ismert allergiája nincs. Fő panasza, amellyel klinikánkat felkereste, hogy elégedetlen mosolyával. Elmondása alapján az utóbbi években krónikus gyulladás alakult ki frontfogai körül, amely érezhető mobilitáshoz vezetett. Ez a probléma jelentősen befolyásolta a magabiztos beszédben és étkezésben. A páciens hosszú távú megoldást keresett, de aggódott a kezelések alatt fellépő esetleges fájdalom miatt. Az extraorális vizsgálat során megállapítottuk, hogy a mosolyvonal közepesen magas és a frontfogak torlódottak (1–2. ábrák). A szájüregi vizsgálat során a 1.2, 2.1 és 2.2 fogak körül előrehaladott parodontális tapadásveszteséget és mobilitást találtunk (3. ábra). A CBCT (cone beam CT) felvételen látszott, hogy a 2.1 fog bukkális csontfala hiányzik (4. ábra).
Az SAC-osztályozás alapján az eset sebészileg komplex, protetikailag egyszerű besorolást kapott (5. ábra).

1. ábra: Az extraorális vizsgálat közepesen magas mosolyvonalat mutatott.
2. ábra: A torlódott felső frontfogak.

3. ábra: Az intraorális vizsgálat során a bal felső nagymetszőnél és mindkét oldali kismetszőnél parodontális tapadásvesztést és mobilitást találtunk.
4. ábra: A CBCT-felvételen látható a buccalis csontfal hiánya.
A páciens igényeit és kívánságait figyelembe véve a következő kezelési terv mellett döntöttünk:
1. A 1.1, 2.1 és 2.2 fogak atraumatikus eltávolítása, granulációs szövet eltávolítása az alveolusból.
2. A 1.3, 1.1 és 2.3 fogak lecsiszolása.
3. Ideiglenes akrilát híd készítése 1.3-2.3 fogakra.
4. A 1.2 fog helyére egy 3,3 mm átmérőjű, a 2.1 fog helyére pedig egy 4,1 mm átmérőjű Straumann® Roxolid® SLActive® BLT implantátum behelyezése.
5. Egyidejű csontpótlás Straumann® XenoGraft és kollagén membrán segítségével.
6. A 1.2 helyén lévő implantátumot azonnali terhelése, a 2.1 implantátum késleltetett terhelése.
7. A papilla formázása az ideiglenes híd ovoid gingivális felszínével a 2.2 fognak megfelelő területen.
8. Végleges, átmenő csavaros híd készítése a 1.2, 2.1 és 2.2 implantátumokra.
Sebészi fázis
Helyi érzéstelenítést alkalmaztunk (2% lidokain, 1:100 000 adrenalintartalommal). Ezt követően atraumatikusan eltávolítottuk a 1.2, 2.1 és 2.2 fogakat, majd a 1.3, 1.1 és 2.3 fogakat preparáltuk (6. ábra).
A második szextánst akrilát ideiglenes híddal láttuk el (7. ábra). A sebgyógyulást követően a 2.1 fognak megfelelő területen a gerinc horizontális és vertikális csonthiánya volt megfigyelhető (8. ábra).
A fogeltávolítást követő hathetes kontroll alkalmával zavartalan sebgyógyulást tapasztaltunk (9. ábra). Gerincéli metszésből teljes vastagságú lebenyt preparáltunk az implantátumok behelyezéséhez. Az implantátumok helyének előkészítéséhez Straumann® Cassette sebészi szettet használtunk. Ezt követően a 1.2 fog helyére egy 3,3 mm átmérőjű, a 2.1 fog helyére pedig egy 4,1 mm átmérőjű Straumann® Roxolid® SLActive® BLT implantátum került (10. ábra). Az implantátumokat a sebészi kézidarab segítségével 15 fordulat/perc sebességgel és 35 Ncm nyomatékkal helyeztük be. Ezzel egyidejűleg a 2.1-es pozícióban lévő implantátum

szerkezeti integritásának növelése érdekében a gerinc augmentációját is elvégeztük.
A 2.1-es implantátumról öt hónappal a beültetést követően kontrollröntgen készült, amelyen ellenőriztük a gyógyulást és az implantátum pozícióját a csontban (11. ábra).
Protetikai fázis
Hét hónappal a 2.1-es implantátum késleltetett megterhelését követően felmértük az implantátum körüli íny lefutását, maturációját és adaptációját a környező lágyrészekhez (12. ábra).
A két implantátumot a gyógyulást és sikeres osszeointegrációt követően végleges koronákkal láttuk el, amelyek megjelenése esztétikailag kielégítő és természetes volt Az átmenő csavarok 1.5 és 35 Ncm közötti tartományban lettek meghúzva (13–14. ábra).
Ellenőriztük az okklúziót és otthoni szájhigiénés instrukciókkal láttuk el a pácienst. A visszahívási ütemezést úgy határoztuk meg, hogy biztosítani tudjuk az elért szájhigiéné folyamatos nyomon követését és szinten tartását.

5. ábra: Az SAC-osztályozás alapján az eset sebészileg komplex, protetikailag egyszerű besorolást kapott.






6. ábra: A bal felső nagymetszőt és a két kismetszőt eltávolítottuk, majd a jobb felső nagymetszőt és a szemfogakat előkészítettük. – 7. ábra: Akrilát ideiglenes híd. – 8. ábra: A gyógyulást követően horizontális és vertikális csonthiány látszik a bal felső nagymetsző területén. – 9. ábra: Hat hónappal a fogeltávolítást követően: a gyógyulása zavartalan volt. 10. ábra: A 1.2 helyére egy 3,3 mm átmérőjű, a 2.1 helyére pedig egy 4,1 mm átmérőjű Straumann® Roxolid® SLActive® BLT implantátum került. – 11. ábra: Öt hónappal a beültetést követően kontrollröntgen készült a 2.1 implantátumról, amelyen ellenőriztük az implantátum megfelelő pozícióját és integritását.
Kezelési eredmények
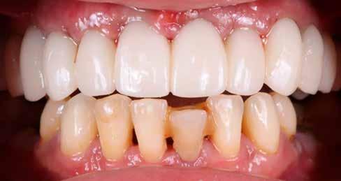
A végleges lenyomatvétellel egy időben kontrollröntgeneket készítettünk az implantátumokról, hogy pontosan felmérhessük azok pozícióját és a környező szövetekhez való viszonyát (15. ábra). Hat évvel a kezelés befejezését követően a hosszú távú stabilitás és a szövetek egészségének ellenőrzésére utánkövetéses röntgenek készültek (16. ábra). A hat- (17–18. ábrák) és a kilencéves (19. ábra) utánkövetés során az átfogó klinikai és röntgenvizsgálatok kedvező eredményeket mutattak az osszeointegráció, az implantátumok körüli csontsűrűség és az esztétika terén is. Ezen eredmények együttesen a kezelés hosszú távú sikerét jelezték. A kezelés a kemény- és a lágyszövetek esetében is rendkívül egészséges állapotot eredményezett. A páciens nagyon hálás volt, hogy a kezelés minden apró részletére gondosan ügyeltünk.
A fenntartó kezelés hatékonysága alapvető az elért eredmények hosszú távú megőrzésében. A páciens elmondása alapján ismét képes volt megfelelően rágni és magabiztosan beszélni. Az átfogó kezelés sikerét az is bizonyítja, hogy megvalósult a páciens „álommosolya”.
A szerzők ajánlása
Mindennapi gyakorlatunkban a Straumann® BLT implantátumok stabil, kiszámítható eredményt adnak, különösen az esztétikai zónában. A gondos tervezés és az interdiszciplináris együttműködés biztosítja az implantátumok zökkenőmentes integrációját és a páciensek hosszú távú elégedettségét.
Forrás: Implants 2024/3








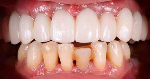
12. ábra: A hét hónapos kontroll alkalmával sikeres lágyszöveti gyógyulás látható. – 13. ábra: A végleges fogpótlás. – 14. ábra: A végleges koronák megjelenése esztétikus. – 15. ábra: A végleges lenyomatvételkor készült kontrollröntgenek igazolják az implantátumok pontos pozícióját és a környező csont épségét. – 16. ábra: Az utánkövetéses röntgenvizsgálatok során értékeltük az implantátumok körüli szövetek hosszú távú stabilitását és épségét. – 17. ábra: A hatéves kontrollnál kedvező esztétikai eredmény látható. – 18. ábra: A hatéves kontrollnál kielégítő klinikai eredmény látható. – 19. ábra: A kilencéves kontroll alkalmával látható, hogy a kemény- és lágyszövetek egészsége megtartott.



Az új digitális technológiák fejlődése lehetővé tette, hogy az átalakítási intraorális szkennerek nagyobb pontossága, a fogászati szoftverek mind szerepet játszanak ezekben a fejlesztésekben. Ahogy a digitális vulást lehet elérni mind a páciensek kényelme és ellátása,

átalakítási folyamat tisztább, észszerűbb és kiszámíthatóbb legyen. Az
jobb képességei és a 3D nyomtatott anyagok nagyobb szilárdsága digitális tájkép tovább változik, izgalmas időszak, hogy milyen jelentős jaellátása, mind a fogászati klinikai szakismeretek terén.
Dr. Max Li
DIGITÁLIS MUNKAFOLYAMATOK
KONVERZIÓS FOGPÓTLÁSOKHOZ
A TELJES IMPLANTÁCIÓS FOGÁSZATBAN
A teljes íven rögzített fogpótlások implantációs kezelése már évtizedek óta ismert [1–3]. A kezelés során általában négy-hat implantátumot helyeznek be akár a felső, akár az alsó állkapocsba, majd a fogpótlást rögzített fogsorral állítják helyre [4]. A kezelés egyik előnye, hogy az implantációs műtét napján egy új, rögzített ideiglenes fogsor készíthető [1–5]. Ezt az ideiglenes fogpótlást a gyártási folyamat miatt konverziós protézisnek nevezik [5].


2. a és b ábra: A műtét előtti maxilláris intraorális felvétel (a). Műtét előtti felvétel a digitális wax-uppal (b).
Hagyományosan a fogsor az implantátumok beültetése után azonnali implantátummal támogatott ideiglenes fogpótlássá alakul át. Röviden, a hagyományos felvételi átalakító protézis elkészítéséhez meg kell határozni az implantátumok helyét a műfogsorhoz képest, az implantátumok helyén lyukakat kell fúrni a műfogsorba, és az ideiglenes felépítőket a műfogsorhoz kell rögzíteni [5, 6]. Miután az implantátumfelépítőket a műfogsorhoz rögzítették, azt eltávolítják a szájból. A peremeket kivágják, az üregeket kitöltik, és az intaglio felületet kiigazítják, hogy az esetlegesen bekövetkezett csontcsökkenésnek megfeleljen, és hogy a szövetet a protézis kialakításától függően egy bizonyos formára formálják. Ezt követően a protézist beillesztik a szájba. Ez az egész folyamat nagyon fárasztó, rendetlen és időigényes lehet [7].
A modern fogászatban a digitális technológiával az azonnali konverziós protézisek készítésének folyamata jelentősen javítható – mind a páciens kényelmét, mind a klinikai hatékonyságot tekintve. Ez a cikk két esetet mutat be, amelyek egy digitális munkafolyamatot mutatnak be fogazott (1. ábra) és fogatlan betegek számára, intraorális szkennelést és digitális szoftvert használva a konverziós protézis elkészítéséhez.
Részlegesen fogazott eset
A digitális folyamat a digitális wax-up készítéssel kezdődik jóval a műtét napja előtt. A megfelelő tervezés minden esetben létfontosságú a kezelés sikeréhez. A fogak elhelyezkedésének véglegesítése után elkészülhet a sebészeti terv az implantátum beültetéséhez. A virtuális wax-upot elmentjük, és a műtét napján szükség lesz rá a digitális átalakításhoz (2. a és b ábra). A műtét napján a digitális átalakítás fontos tényezője a műtét (foghúzás és implantátumbehelyezés) és az intraorális felvételek sorrendje. A digitális technológia egyik előnye, hogy a közös pontokat össze lehet vonni az egyik felvételről a másikra. A konverzió alapja a műtét napján készült implantátumszkennelés és a műtét előtti szkennelés megfelelő összevonása, így az eredeti wax-up helyének meghatározása az új implantátumszkennelésen. Ha nincsenek referenciapontok az eredeti szkennelés és az implantátumszkennelés között, a két szkennelés összevonása nehézségekbe ütközik, és az új implantátumszkennelés elveszik a 3D térben, és nem lehet viszszautalni rá. Ezért fontos, hogy a műtét előtt megfelelő tervvel meghatározzuk a referenciapontokat. Azokban az esetekben, amikor a páciens még fogazott vagy részlegesen fogazott, a szelektív foghúzás és bizonyos fogak megtartása referenciaként egyszerű módja annak, hogy lehetővé váljon a szkennelések pontos összevonása a műtét előtti szkenneléssel. A szkennelések egyesítése után (3. a–d ábra) az eredeti waxup az új implantátum szkenneléséhez viszonyítható. A fogászati szoftver (DentalCAD, exocad) segítségével megtervezhető az átalakító protézis a wax-upban lévő fogak és az
1. ábra: Kiindulási helyzet.

3. a–d ábra: A szelektív extrakció három fogat hagyott közös pontként a műtét előtti (a), az ideiglenes (b) és az implantátum intraorális felvételek (c) között, hogy a szoftver egyesíteni tudja a fájlokat, és az implantátum felvételét ugyanabban a 3D térben helyezze el, mint a műtét előtti felvételt, amelyen a wax-up volt.
implantátumok összekapcsolásával. Ez a folyamat általában körülbelül 30 percet vesz igénybe, mivel a tervezési idő nagy részét a wax-up műtét előtti megtervezése teszi ki (4. a–d ábra). A digitális átalakítás után a protézist 3D nyomtatással kinyomtatják, feldolgozzák és behelyezik az azonnal behelyezett implantátumokra (5. és 6. ábra).

4. a–d ábra: A műtét előtti maxilláris intraorális felvétel a digitális wax-up (a és b) és az implantátumfelvételen (c és d) a protézisre konvertált digitális wax-up (a és b).

5. ábra: 3D nyomtatott állkapocsprotézis a műtét napján történő behelyezés után.
Fogatlan eset
Fogatlan esetekben is szükség van próbaprotézisre, hogy a műtét előtt tesztelni lehessen a fogak elhelyezkedését és a függőleges dimenziót, mint bármely más fogatlan esetben.

6. ábra: A páciens mosolya közvetlenül a konverziós protézis behelyezése után.

7. a és b ábra: Újrahúzott felső állkapocs (a) és alsó állkapocs próbaprotézisek (b). A protézisben lévő kivágások lehetővé teszik a protézis intraorális szkennelését referenciapontokkal.

8. a–c ábrák: A maxilláris próbaprotézis felvétele (a). A próbaprotézis felvétele három TAD-dal a szájpadlás közepén (b). A négy maxilláris implantátum szájüregi felvétele a három TAD-dal (c).

9. a–c ábrák: Az alsó állkapocs próbaprotézisének felvétele (a). A próbaprotézis felvétele három TAD-dal (egy a középvonalban, kettő a bukkális polcon (b). Az öt mandibuláris implantátum szájüregi felvétele a három TAD-dal (c).

10. a–d ábrák: Eredeti digitális wax-up az implantátum szkennelésén (a és b). A fogak és az implantátumok összekapcsolásával tervezett konverziós protézisek (c és d).

11. a és b ábra: 3D nyomtatott protézis feldolgozás előtt (a). Kész protézis a nyomtatási hordozók eltávolítása, valamint a végső festés és üvegezés után (b).
Ez a próbaprotézis (amely a digitális wax-upból készül) egyben az implantátumszkennelés és a digitális wax-up összekapcsolásának módja is (7. a és b ábra).
Mivel a lágyszövetek általában nem megbízható referenciapontok, különösen a teljes implantációs műtét során vagy azt követően, az összevonás céljából referenciapontokat kell elhelyezni. Ezek a referenciapontok lehetnek bármilyen ideiglenes csavarok, amelyek a műtéthez a csontba ágyazhatók. Ilyenek például az ideiglenes rögzítőeszközök (TAD) vagy a sátorozó csavarok. A próbaprotézis fogai a második (ideiglenes) szkenneléssel összeilleszthetők. Az ideiglenes felvételen lévő TAD-okat a harmadik (végleges, implantációs) felvétellel lehet összevonni (8. a–c és 9. a–c ábra). Így az implantátumfelvétel visszavezethető az eredeti felvételhez. Ezután megismétlődik ugyanaz a digitális folyamat, mint a fogazott páciens esetében, és a protézist 3D nyomtatással kinyomtatják és a műtét napján beültetik (10. a–d, 11. a–b ábra)
Következtetés
Az új digitális technológiák fejlődése lehetővé tette, hogy az átalakítási folyamat tisztább, észszerűbb és kiszámíthatóbb legyen. Az intraorális szkennerek nagyobb pontossága, a fogászati szoftverek jobb képességei és a 3D nyomtatott anyagok nagyobb szilárdsága mind szerepet játszanak ezekben a fejlesztésekben. Ahogy a digitális tájkép tovább változik, izgalmas időszak, hogy milyen jelentős javulást lehet elérni mind a páciensek kényelme és ellátása, mind a fogászati klinikai szakismeretek terén.
Forrás: dental-tribune.com

ALPHA IMPLANT HÍREK
Legújabb
innovációnk
Alpha™ Arch
Bemutatjuk az Alpha™ Arch rendszert, amely komplett megoldást kínál a teljes és részleges csavarozható restaurációkhoz.
Az Alpha™ Arch túlmutat a hagyományos multi-unit koncepciókon – egy olyan klinikai filozófiát képvisel, amely egységes rendszerbe integrálja a biomechanikát, az esztétikát, a munkafolyamat-hatékonyságot és a megbízhatóságot.

A rendszer precíz illeszkedést, stabilitást és biztonságot nyújt, lehetővé téve a klinikusok számára, hogy kiszámítható, hosszú távon esztétikus eredményeket érjenek el.
Az Alpha™ Arch rendszer elemei:
• Standard (4,8 mm) átmérőjű, egyenes és ferde Multi-Unit felépítmények, valamint a hozzájuk illeszkedő kiegészítők: ínyformázó csavar, ideiglenes felépítmény, önthető műanyag cső, lenyomati fej, scan body, beragasztható betét, analóg és digitális analóg.
• Narrow (3,5 mm) átmérőjű, egyenes Multi-Unit felépítmények és kompatibilis kiegészítők az előbbiekhez hasonlóan.
• Multi-Unit behajtók és protetikai csavarok, amelyek a precíz és megbízható illeszkedést szolgálják.
Az Alpha™ Arch célja, hogy a mindennapi klinikai munkát egyszerűbbé, gyorsabbá és kiszámíthatóbbá tegye – mind-

ezt az Alpha-Bio Tec. megszokott minőségével és innovációs szemléletével.
Megjelent új termékünk –a Geistlich Pocket-X
A Geistlich Pocket-X egy termoszenzitív gél, ami segíti a parodontális betegek regenerációját, gyorsítja az ínygyógyulást és meggátolja a baktériumok újra kolonizációját, antibiotikum nélkül. Célja, hogy a páciens elkerülje a nagyobb költséggel, illetve felépülési idővel járó műtétet.
Összetevői: HA + Octenidine + Poloxamer 407
• A hialuronsav hidratálja és rugalmasabbá teszi a szöveteket, segíti a gyógyulást
• Az octenidine egy teljesen biokompatibilis és antimikrobiális anyag, ami helyileg hat, nem antibiotikum, így nem okoz rezisztenciát
• A poloxamer 407 felelős a gél termoszenzitív tulajdonságáért, 37 fok felett a folyékony állagból viszkózus, géles állaga lesz a terméknek és így fizikai gátat képez a baktériumok ellen.

























Könyvajánlataink















Ennek a könyvnek a kiadásával célkitűzésünk volt áttekinteni fogászati implantológiában hagyományosan alkalmazott csontmegmunkáló eljárásokat (kézi eszközök, forgóeszközök), összehasonlítva őket az új (piezo, lézer, mágneses kalapács /magnetic mallet = MM) módszerekkel, valamint bemutatni a csontpótló anyagokat és köztük az újnak számító BoneAlbumint.
Mind a mágneses kalapács, mind a BoneAlbumin a nemzetközi irodalomban is rendkívül újnak számít, egyelőre kevés vagy egyáltalán nincs sokéves tapasztalat, így fontos, hogy az eddigi ismereteket, technikákat, az elért eredményeket kellő kritikával, önkritikával kezeljük, és reálisan próbáljuk helyüket és szerepüket meghatározni a fogászati implantológiában.
Dr. Gáspár Lajos

Könyvem megszületését elsősorban dr. Forrai Judit professzor asszonynak köszönhetem. Az ő inspirálására született meg ez a történeti visszatekintés. 2014 februárjában a Semmelweis Egyetem Népegészségügyi Intézetének a tantermében megalakult a Magyar Orvostörténeti Társaság részeként a Fogászattörténeti Kör. Az alakuló ülésen érdekes előadások hangzottak el, majd azok befejeztével Forrai Judit tanárnő felkért, hogy tudnék-e az őszi program keretében a fogászati implantológia történetéről előadást tartani. Természetesen szívesen elvállaltam. Az orvoslás, a fogorvoslás történeti vonatkozásai mindig is érdekeltek, és a fogorvostan-hallgatóknak az érzéstelenítésről, az implantológiáról szóló előadásaimban állandóan próbáltam történeti vonatkozásokat is beépíteni. Engem elsősorban a gyógyító eljárások fejlődése érdekelt. Mi volt a régi gyógymódok – az akkori ismeretek szerinti – élettani, patológiai vagy akár vallási háttere?
Dr. Divinyi Tamás


A fogászat és különösen az implantológia fejlôdése az elmúlt évtizedekben az érdeklődés középpontjába került. Magyarországon napjainkban évi közel 60 000 darab fogászati implantátumot helyeznek be, ami mintegy évi 12 milliárd forint forgalmat generál az orvosi és fogtechnikai költségekkel együtt.
Az Implant Index című kézikönyv nemcsak a tudományos és szakmai ismeretek jelentős lexikális anyagát összegzi, hanem talán elsőként mutatja be az implantológiai piac jellemző vonásait, gazdasági elemzéseket, múltra, jelenre és jövőre vonatkozó adatokat, fejlődési tendenciákat. Ugyancsak új témának számít az implantációs betegek gondozását bemutató fejezet is. A könyv fejezeteiben először az adott témakör rövid, áttekintő bevezetésére kerül sor, majd ezt követi a lexikális ismeretanyag táblázatokban, majd elsősorban a mindennapi gyakorlatot segítő írások, cikkek következnek.
Dr. Gáspár Lajos és dr. Toldi Ferenc
Az implantológia a fogorvostudomány egyik legintenzívebben változó, fejlődő szakterülete. A foghiányok pótlásának szándéka - valamilyen csontba épített eszköz, anyag segítségével - több évezredes múltra tekint vissza. Az implantációs kísérletek azonban hosszú időn át - a nem megfelelő biológiai, anyagtani stb. feltételek hiánya miatt- többnyire nem jártak sikerrel. A nagy „előrelépést" a 20. század, annak is különösen a második fele hozta meg. Ezekben az évtizedekben számtalan próbálkozásról, kísérletről olvashattak az érdeklődők a hazai és a nemzetközi szakirodalomban egyaránt. A dentális implantológia mára már a fogorvoslás nélkülözhetetlen területe lett. A mindennapi gyakorlatban szükség van az ismeretek permanens bővítésére, frissítésére, hiszen egyre újabb és újabb implantációs rendszerek, fejlesztések, eszközök és eljárások megjelenésével szembesülnek - szinte naponta - a szakemberek.
Dr. Urbán István

Viz Dental Implant Kft. 1052 Bp., Váci utca 23. 1. em. 1/a Tel.:/fax: 06-1-318-4939, E-mail: office@vizdental.hu, www.vizdental.hu


SGS International Ltd. European Logistic Center 1047 Budapest, Károlyi István u. 1–3.
Tel.: +36 1 328 0427
Fax: +36 1 348 0428
E-mail: info@sgs-dental.com www.sgs-dental.com

ai_hird_47x69.indd



Implant Solution
Tel.: 06-20-326-0579
e-mail: info@implantsolution.hu Web: www.cowellmedi.hu





Dent-East Kft. 1112 Budapest, Rétkerülő út 51 www.dent-east.com • mail@dent-east.com

















klinikai tapasztalat és tudományos háttér. Folyamatos fejlesztés 16 éve. A LEGINNOVATÍVABB, PIACVEZETŐ


Kompressziós és bikortikális egyfázisú implantátumok választhatóan multiunit fejjel. Csavarozható stégekhez, overdenture felépítményekhez. Azonnali implantáció és azonnali terhelés meghatározott szakmai protokoll szerint. Folyamatos, többlépcsős kurzusok, praxistréning, felhasználótalálkozók. ISO, CE, nemzetközi klinikai tapasztalat és tudományos háttér. Folyamatos fejlesztés 16 éve.




CS 3700 CAD/CAM a piacvezető oralkamera Szkennelés kompromisszum nélkül Kompressziós





Bővebb felvilágosítás és






web: www.sofortimplant.com


