

E-JOURNAL ESZT ÉTI KA
A FOGÁSZAT
A forma mindig követi a funkciót
A posterior fogak direkt kompozit restaurációinak finírozása és polírozása
Elszíneződött, korábban traumatizált vitális UR1 fog kezelése
A természetes fogazat funkciójának és esztétikájának helyreállítása héjak segítségével



















































































Tisztelt Olvasó!
A fogászati szektor az idei esztendőben – reményeink szerint – már fel fogja dolgozni a Covid-19 okozta súlyos problémákat, az ukrán háború miatt kialakult nehézségeket, a korábbi években elszabaduló inflációt, és már tervezi a fejlődés aktuális lehetőségeit. Mindannyian abban bízunk, hogy megérkeznek az európai uniós források, újra indulnak a pályázatok, és stabilan tudjuk vezetni a vállalkozásainkat!
A tavalyi év sokunk életében hozott különböző gondokat, de mégis elmondhatjuk, hogy jobb volt, mind a 2020-2022 közötti időszak, amikor a létbizonytalanság, a járványtól való félelem uralta a napjainkat. Az idegenforgalom tavaly szépen megindult, 2024-ben a vendégéjszakák száma elérte a 2019-es adatokat. A nagy rendelők már teljes kapacitással üzemelnek, a fogtechnikai laborokban is visszatért a folyamatosság, a fogászati kereskedők jelentős része pedig jobb évet zárt 2024-ben, mint a korábbi esztendőkben.
A fogászati rendelők és fogtechnikai laborok elsősorban a fejlesztéseket állították előtérbe, amelyhez számos pályázat és egyéb forrás is kedvező konstrukciókat kínált. 2025-ben – tudomásunk szerint – lesznek új pályázati források, ezekről a kereskedelmi vállalatok részletesebb információkat tudnak majd adni. Az új források bevezetése idén remélhetőleg ismét növekedési spirálba helyezi majd ezt a szektort!
Az infláció elérte a fogászati ágazatot is, a vállalkozások az euró változásától, gyengülésétől függően azzal találkoznak, hogy az árak – a mindennapi élet mellett – itt is jelentősen és folyamatosan változnak, emelkednek. Így a fogászati rendelők is kénytelenek az áraikat emelni, egyre több rendelő, ún. „piaci alapú” árképzést vezet be. A folyamat kimenetelét még nem lehet pontosan látni, a munkaerő fluktuációja, az Európai Unió áraihoz képest alacsony magyar fogászati beavatkozások értéke - jelenleg még nem érte el a drágulás csúcspontját. Az elmúlt időszakban számos újság, cikk foglalkozott a fogászati szektorban található extra drágulási folyamattal. Ez egyelőre – a hazai rendelőkben – még nem mutatott jelentős problémát, új hívószavakkal, sok marketing munkával, reklámmal most a magyar lakosságot kell határozottabban a rendelőkbe invitálni!
A kiadó bizakodva tekint a jövőbe, a megújult tartalmaink kapcsán sok pozitív visszajelzést kapunk,

melyeket nagyon köszönünk! Az elmúlt években – a nehézségek ellenére is – növelni tudtuk a kiadványaink és a magazinjaink számát, nem csökkentve azok tartalmi minőségét. 2020 óta a tematikus e-Journalok is folyamatosan megjelennek, melyek egyfajta online könyvtárként is szolgálnak az Olvasóinknak. A dental.hu oldalon díjmentesen elérhetőek a korábbi tematikus online lapszámaink is.
A mostani kiadványunkban az általános fogorvosi eljárások mellett kiemeltebben az esztétika témakörével foglalkozunk.
Tartalmas olvasást kívánok!
Laczkó Tamás, felelős kiadó
VIII. évfolyam, 2025. 9. szám
Kiadja: DP Hungary Kft. 1012 Budapest, Kuny Domokos u. 9.
Felelős kiadó: Laczkó Tamás
Főszerkesztő: Dr. Riba Magdolna
Előkészítés:
DP Hungary Kft., Sárközi András e-mail: andras.sarkozi@dentalworld.hu
Információ, hirdetésfelvétel: Kiss Éden Aliz, telefon: 06-30-472-0030
Az újság e-mail címe: info@dental.hu
Az újság internetcíme: www.dental.hu
Terjesztés: E-mail hírlevél formájában.
A tudományos közleményeket a szerkesztőség lektoroknak adja át véleményezésre. Közlés csak egyetértő lektori vélemény, illetve a javasolt módosítások elvégzését követően lehetséges.
A cikkek szerzői vállalják, hogy az általuk elküldött írás saját forrásból származik, illetve a felhasznált anyagokat (publikációkat, illusztrációkat, képeket stb.) mindenkor pontosan feltüntetik. Írásaiknak jogi és egyéb adatvédelmi kérdéseiben felelősséget vállalnak.
A német nyelvű szakmai cikkeink magyar fordítását az Oemus Media AG Kiadó engedélyével szerkesztettük lapunkba. A fel nem használt kéziratokat, fotókat nem őrizzük meg, és nem küldjük vissza.
A hirdetések tartalmáért nem vállalunk felelősséget. A gyártó, illetve forgalmazó cégek kérésére közzétett cikkeket keretbe foglalva közöljük és (x)-szel jelöljük, azok szakmai tartalmáért a szerkesztőbizottság nem vállal felelősséget.
Kónuszos felépítmény kapcsolat
Kisebb mikromozgás

Erősebb és egyenletesebb csatlakozás
Platform switching


















DR. NIKOS KAMPANAS

DR. FORSTER ANDRÁS

DR. SÁRY TEKLA




DR. NAGY ZSOLT

DR. KRZYSZTOF GOŃCZOWSKI

DR. MAARTEN DE BEER

DR. DÖBRENTEY ZSOLT

DR. GRZEGORZ

DR. ZINONAS EVAGOROU

Dr. Jason Smithson (Egyesült Királyság)
A FORMA MINDIG KÖVETI A FUNKCIÓT
Az „okkluzális iránytű” alkalmazása direkt kompozit restaurációk esetében
Absztrakt: A direkt kompozit restaurációk készítése a posterior régióban a legtöbb fogorvos számára mindennapos kezelésnek bizonyul. Sok klinikus számára azonban kihívást jelent az olyan restaurációk készítése, amelyek egyszerre esztétikusak és funkcionálisak, miközben reális időn belül elvégezhetők. Jelen publikáció célja, hogy ebben a kérdésben segítséget nyújtson. Szakmai relevancia/klinikai jelentőség: A cikk tárgya egy funkcionális alapú módszer bemutatása az okkluzális anatómia kialakítására a DeVreugd-féle „okkluzális iránytű” segítségével, amely megkönnyíti a direkt kompozit restaurációk elkészítését I. és II. osztályú kavitások esetén.
Problémafelvetés
Az élő és élettelen dolgoknak, a fizikai és metafizikai jelenségeknek, az emberi és emberfeletti létezésnek, a fej, a szív és a lélek minden valódi manifesztiációjának egyetemes törvénye, hogy az élet a megnyilvánulásokban felismerhető, és a forma mindig követi a funkciót. Ez az alapelv [1].
A hátsó fogak direkt kompozit restaurációja a leggyakrabban végzett beavatkozás az általános fogászati gyakorlatban [2], így a fogorvosok munkájának és idejének jelentős részét felemészti. Az ilyen típusú restaurációk esetében az idő nagy hányadát a rétegezés és a kompozit formázása, majd a végső, fúrókkal végzett finírozás teszi ki.
A legtöbb klinikus a kompozit rezint polimerizálás előtt viszonylag amorf tömegként, csupán alapvető csücsök-lejtőkkel helyezi be, majd a polimerizáció után fúrókkal, korongokkal és polírozó-hegyekkel formázza és polírozza a felszínt. Az elmúlt években több anatómiai rétegezési technika is előtérbe került [3, 4], amelyek elegánsabb megoldást kínálnak a rétegezésre. Ezek a technikák azonban jellemzően az előre eltervezett esztétikai ideál szerinti zománcrétegek felépítésén alapulnak. Ez azt jelenti, hogy az orvos fejében él egy kép az „ideális” rágófelszíni anatómiáról (amelyet többnyire anatómiai tankönyvekből vagy manapság online tananyagokból merít), és minden fogra ugyanazt a megoldást alkalmazza minden egyes esetben.
Bár ezek a módszerek egyszerűen oktathatók és könnyen elsajátíthatók, az alábbi hátrányokkal járnak:
1. Gyakori a jelentős mértékű okkluzális korrekció, különösen azon a páciensek esetében, akiknél konformatív módon történik a restauráció (ez a többség), és akiknél csoportos érintkezés figyelhető meg, vagy már eleve fennállnak eltérések a posterior régióban. Ennek két fő oka van:
• Egyrészt a maximális interkuszpidációs helyzetben kialakuló érintkezési pont gyakran túl „magas” („ma -
ximal intercuspal position”, azaz MIP), vagy az IKP (az antagonista fogak teljes összezáródása a condylus helyzetétől függetlenül, illetve úgy is hivatkoznak rá, hogy a fogak optimális érintkezése, függetlenül a condylus helyzetétől; más néven centrális okklúzió[5])
• Másrészt a megtervezett okkluzális séma sokszor nem biztosít elegendő szabadságot a dinamikus okklúzió során, vagyis rágás közben.
2. Az okkluzális korrekció gyakran a fontos anatómiai részletek elvesztéséhez vezet: a konvex csücskök homorúvá válnak, a barázdák és mélyedések eltűnnek, a zománcrétegként felhelyezett kompozitot lecsiszoljuk, és a dentin-kompozit a felszínre kerül. Az eredmény pedig esztétikailag kedvezőtlen: gyakran egy formátlan, szürkés kompozit tömeg marad vissza.
3. A rágófelszín korrekciójának folyamata önmagában időigényes, és az ehhez szükséges idő gyakran nehezen előre jelezhető.
4. A szerző egy dinamikusabb, funkcióalapú megközelítést javasol a rágófelszíni anatómia kialakítására, a DeVreugd-féle okklúziós iránytű iránymutatásait követve. Ezzel a módszerrel a végső rétegezés után vagy egyáltalán nincs szükség korrekcióra, vagy – gyakoribb esetben – csak minimális beavatkozás szükséges; így az eredmény egy esztétikusabb, gyorsabban elkészíthető és könnyebben polírozható restauráció.
Az okkluzális iránytű
A páciens meglévő fogazata – különös tekintettel a csücskök, barázdák, mélyedések helyzetére; a csücsöklejtők szögére; valamint a kopási mintázatokra – mintegy térképként szolgál számunkra, amely megmutatja, merre „járt” a páciens rágás közben, és ebből kiindulva iránymutatást ad az adott esetben ideális rágófelszíni sémára.
Lényegében a kezelőorvosnak már a beavatkozás előtt, puszta megfigyeléssel tisztán kell látnia a kialakítandó végső okkluzális helyzetet, még mielőtt a fúrót a foghoz érintené.
A hátsó fogak okkluzális morfológiájának jelentősége az, hogy lehetővé tegye az étel megrágását, miközben biztosítja az rágófelszíni érintkezések szabadságát a maximális interkuszpidációs helyzettől kiindulva egészen a határhelyzetekig. Ez azt jelenti, hogy az oldalharapási mozgások során a hátsó fogak csücskei nem érnek össze, hanem az elülső fogak vezetik a harapást [6].
Posselt az állkapocs funkcionális mozgásait a mandibula határmozgásainak görbéjével (Posselt-féle diagram) írta le, amely három térbeli síkra bontható (1. ábra): sagittális, frontális és horizontális. Ebből következik, hogy a fogak dinamikus kölcsönhatása is három dimenzióban értelmezhető [7].
Az egyes csücskök háromdimenzóban végzett, funkcionális mozgáspályáinak összességét nevezzük okkluzális iránytűnek (2. ábra). Az okkluzális iránytű minden csücsök esetében egyedi (a rajta lévő bemélyedések és kiemelkedések szempontjából), és azt a csücsöknek a mandibula condylusának forgásközéppontjához viszonyított helyzete határozza meg.
Az okkluzális iránytű leírásához használt terminológia a The Glossary of Occlusal Terms-ből származik, amelyet a The Glossary Committee of The International Academy of Gnathology állított össze [8]. Fontos megjegyezni, hogy a mandibula mozgásai rágás és nyelés során mindig a maximális interkuszpidációs helyzetből indulnak ki, és oda is térnek vissza.
Ezek a mozgások a következők:
• PROTRUSIO (fekete) – az állkapocs előrefelé irányuló mozgása;
• LATEROTRUSIO (kék) – oldalirányú vagy kifelé történő mozgás;
• LATEROPROTRUSIO (sárga) – kifelé és előre irányuló mozgás kombinációja;
• LATERORESURTRUSIO (piros) – kifelé, hátrafelé és felfelé irányuló mozgás. Ez a mozgás Bennett-mozgásként ismert, Norman G. Bennett (1870–1947) után elnevezve;
• MEDIOTRUSIO (zöld) – mesiális oldalirányú, befelé történő mozgás, amely lehetővé teszi az ellenkező oldali condylus lefelé/előre irányuló mozgását [9].
Az iránytű középpontja (az IKP-ben létrejövő érintkezés) körül található egy kisebb szabad zóna, amely lehetővé teszi az antagonista csücsök mozgását a „hosszú centrikus” (Long Centric vagy Freedom in Centric) tartományban [10]. Ez képezi a Polz-féle biomechanikai wax-up [11] alapját, amelyre a DeVreugd-féle okkluzális iránytű is épül. Jelen publikáció célja egy dinamikus alapú, ésszerű megközelítés bemutatása a hátsó fogak direkt kompozittal történő restaurálásához, amelynek eredményeként a rétegezést követően csupán minimális utólagos korrekcióra van szükség. A szerző a rövidebb, lényegre törő bemutatás kedvéért a felső első molárisra fókuszál. Ezt a fogat azért választotta, mert rágás közben ez viseli a legnagyobb erőbehatást, és ezen a fogon található a legtöbb okklúziós érintkezési pont [9].


DeVreugd-féle okkluzális iránytű.

3. ábra: Rágófelszíni kavitás preparációja műfog modellen.
1. ábra: Posselt-féle állkapocsmozgási görbe.
2. ábra:


4. ábra (a, b): Mesio-bukkális csücsök kialakítása.


5. ábra (a, b): Disto-bukkális csücsök kialakítása.
Lépésről lépésre: felső első moláris preparálása műfog modellen
Funkcionális rágófelszíni anatómia kialakítása a mesio-disztális és bukko-lingvális síkokban


6. ábra (a, b): Mesio-palatinális csücsök kialakítása.


7. ábra (a, b): Disto-palatinális csücsök kialakítása.
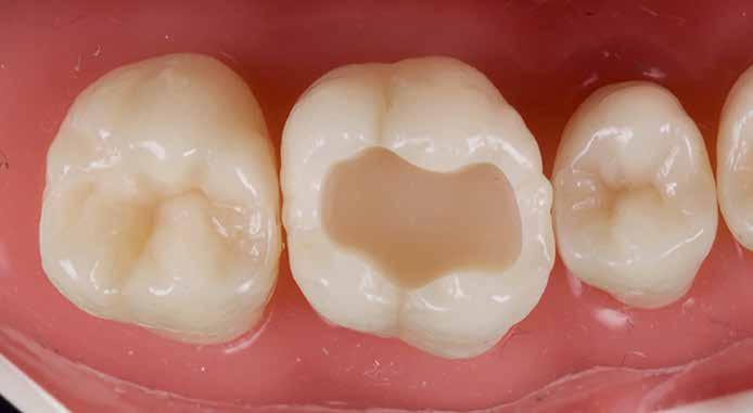
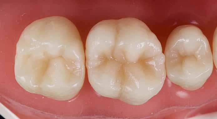
Kiindulópont: egyszerű I. osztályú rágófelszíni kavitás (3. ábra).
Általános szabály, hogy az okkluzális iránytűt csücsökről csücsökre haladva kell felépíteni, mindig a legnagyobb csücsökkel ellentétes oldalon kezdve. Mivel a felső első moláris legnagyobb csücske a mesio-palatinális, a szerző a mesio-bukkális csücskön kezdi a munkát.
A mesio-bukkális háromszöget és a marginális gerincet az adott VITA árnyalatnak megfelelő, alacsony opacitású kompozitból alakítja ki. Ezzel egyidejűleg kialakul a középső bukkális barázda (kék - laterotruzív irány) és a másodlagos mesio-bukkális anatómia (sárga - lateroprotruzív irány).
A szerző előnyben részesíti a kompozit formázását egyszerű Ash No. 6 explorer műszerrel [12], de a kezelőorvos preferenciájától függően használható spatula vagy POCS (Posterior Occlusal Carver Small – hasonló a P.K. Thomas 3 viaszmintázóhoz) is.
Ezután szerző a kompozitot tovább formálja, „lágyítja” az anatómiai részleteket, és illeszti azokat a kavitás széli zónáihoz, No. 1 ecsettel (GC Corp) és modellező rezin használatával. A modellező rezin kis mennyiségben használt folyékony rezin, amely lehetővé teszi az ecsettel történő adaptálást. Számos gyártó kínál ilyen terméket, például Kulzer (Signum Liquid), Bisco (Modelling Resin) és Cosmedent (Brush and Sculpt).
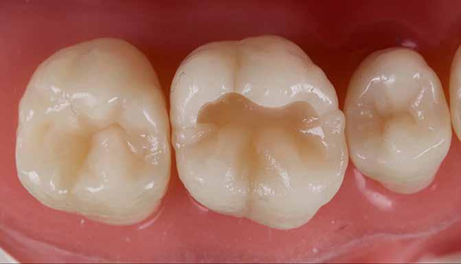
Az első réteget a „Pulse-Activation” protokoll [13] szerint kell polimerizálni gél-állapotig; ennek kettős előnye, hogy idő takarítható meg vele, másrészt csökkenti a polimerizációs zsugorodási feszültséget a restaurációban (4. a és 4. b ábra). Ezt követően a disto-bukkális háromszög és marginális gerinc kialakítása történik hasonló módon; ezzel befejeződik a középső bukkális barázda kialakítása (kék - laterotrusív mozgás), és létrejön a disto-bukkális csücsök másodlagos anatómiája (piros - lateroresurtrusív mozgás).
Megjegyzésként elmondható, hogy a középső bukkális barázda helyes pozíciója kulcsfontosságú mind a laterotrusív mozgás szempontjából, mind az okkluzális iránytű középpontjának végső helyzetének meghatározásában.
A szerző tapasztalata szerint jól használható támpont, ha gondolatban egy egyenest húzunk a mesio-bukkális csücsök csúcsa és a disto-bukkális csücsök csúcsa között, majd ezt merőlegesen elfelezzük – ez a vonal legtöbbször jól megfelel a középső bukkális barázda helyzetének (5. a és 5. b ábra)
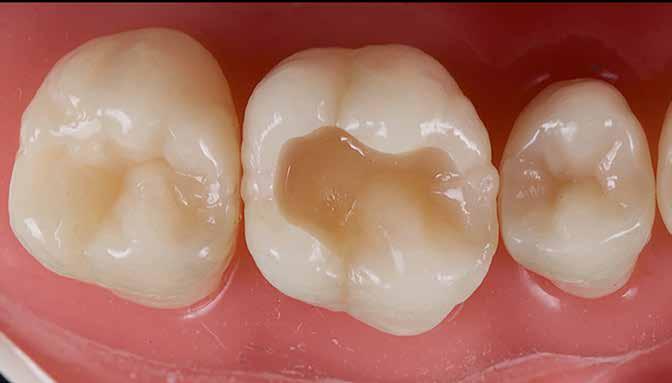
A következő lépés a mesio-palatinális háromszög és marginális gerinc felépítése, egy kisebb bemélyedés megformázásával, amely lehetővé teszi a mediotrusiót (zöld), valamint kialakítandó az ún. Stuart-barázda is. Ezen felül a szerző egy apró, ujj-szerű kiemelkedést is megformáz a mesiális marginális gerinctől az okklúziós iránytűpont felé, amely a fekete jelölésű protrusív mozgást biztosítja (6. a és 6. b ábra).
A felépítés a disto-palatinális csücsök háromszög és marginális gerinc kialakításával fejeződik be. Fontos megjegyezni, hogy a palatinális barázda distális irányba fut, emiatt a mesio-palatinális csücsök nagyobb, mint a disto-palatinális – ez okozza az egyik leggyakoribb hibát az első moláris felépítésekor. Ezen felül pedig egy további iránytűpont vetül mesialis irányba a második moláris mesiális marginális gerincétől; ügyelni kell arra, hogy a disto-palatinális csücsök lejtői ne akadályozzák ennek a mozgásnak a mediotrusív pályáját (7. a és 7. b ábra).
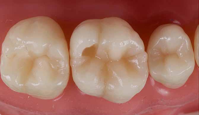
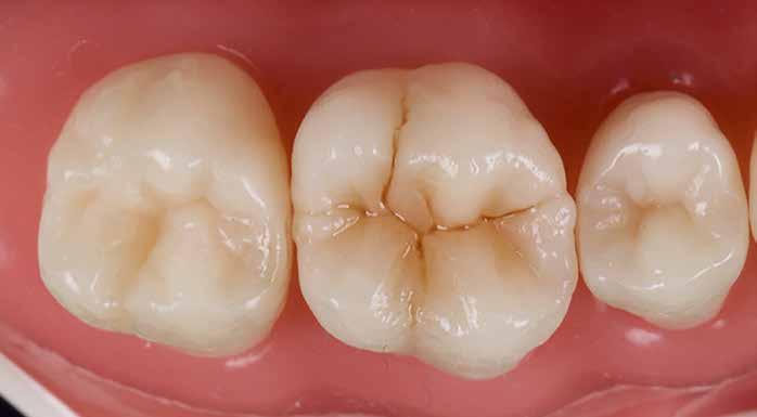
Egyes klinikusok a barázdamintázatot színezéssel emelik ki bizonyos esetekben: ez optikailag kiemeli a csücsökanatómiát, és javítja az esztétikát. A barázda anatómiájában előforduló kisebb hibákat is lezárja, hiszen a színezőanyag való-

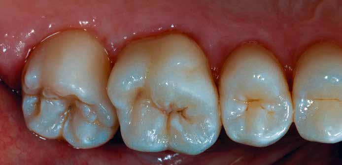
8. ábra: Elkészült I. osztályú restauráció a barázdák színezésével.

9. ábra: Az okklúziós iránytű központjának okkluzo-apikális helyzete az összetérő csücsöklejtők találkozásánál.
jában folyékony kompozit, így egyszerűbbé válik a polírozási eljárás, és javul a páciens hosszú távú komfortérzete is (8. ábra).
Funkcionális rágófelszíni anatómia kialakítása
az okklúzo-apikális síkban
A DeVreugd-féle okkluzális iránytű rendkívül hatékony az okklúziós érintkezési pont és az oldalsó mozgáspályák kialakításában, két dimenzióban, de mi a helyzet a harmadik dimenzióval, azaz az apiko-koronális iránnyal vagy a kontaktpont magasságával? Az okkluzális kontaktpont apiko-koronális dimenzióját az egymást metsző csücsöklejtők meredeksége határozza meg: minél meredekebb a lejtő, annál apikálisabb az iránytű pont, és fordítva (9. ábra). Ha a kompozitban kialakított csücsöklejtő túl meredek, a restauráció infra-okklúzióban lesz; ha viszont a csücsöklejtő túl lapos, a restauráció magas lesz, és jelentős mértékű korrekcióra lesz szükség, amely az összes korábban felsorolt hátránnyal jár. Ennek elkerülésére egy egyszerű megközelítést alkalmazunk: a beavatkozás előtt a restaurálandó fog csücsöklejtőit felmérjük, és összehasonlítjuk a szomszédos fogakkal mind mesiális, mind distális irányban. A kezelőorvos értékeli, hogy a restaurálandó fog csücsöklejtői meredekebbek, laposabbak, vagy nagyjából azonosak a szomszédos fogakéval (ez utóbbi a normál állapot).


10. ábra: Felső első moláris elégtelen amalgámrestaurációval és II. osztályú carieses lézióval. – 11. ábra: Az érintett kvadráns izolálása kofferdámmal.


12. ábra: A meglévő restauráció eltávolítása és a carieses lézió feltárása utáni állapot. – 13. ábra: Elkészült II. osztályú preparáció.


14. ábra: II. osztályú doboz-preparáció lezárása direkt kompozittal. – 15. ábra: Erősen pigmentált dentin kompozit applikálása és kiemelése színekkel.


16. ábra: Zománc kompozit tömeg felhelyezése és színezése. – 17. ábra: A végeredmény közvetlenül a kezelés után.
Ez intraorális fényképezéssel is dokumentálható, majd reprodukálandó a végső restaurációban.
Esetbemutatások
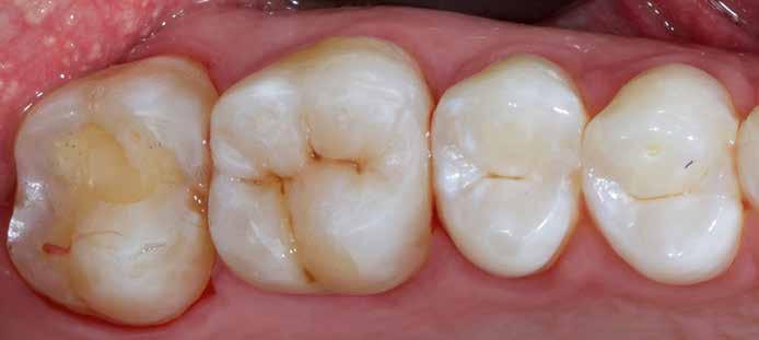
1. eset
Egy 31 éves férfi páciens jelentkezett a jobb felső első molárisából kiinduló, reverzíbilis pulpitisre utaló tünetekkel. A klinikai vizsgálat során meglévő okkluzo-palatinális ezüsta-
malgám restauráció volt észlelhető, valamint szekunder caries mesiálian, a marginális gerinc kavitációjával együtt (10. ábra). A mesio-bukkális csücsök csúcsán kopási fazetta volt látható; a fog egyébként klinikailag és radiológiailag épnek bizonyult. A tájékoztatáson alapuló beleegyezést követően a kezelési terv II. osztályú, háromfelszínű direkt kompozit restauráció volt.
A szerző helyi érzéstelenítés után a fogat latexmentes kofferdámmal izolálta; a gumit befordította, és közben fogselyem segítségével interproximálisan visszahúzta (11. ábra)


Nagyítás alatt (operációs mikroszkóp) a régi restaurációt körte alakú gyémántfúróval távolította el, 1,5-es sebességfokozatú elektromos kézidarabbal kb. 45 000/ perc fordulatszámon vízhűtés mellett, így a mesiális oldalon feltárta a szuvasodást. A szerző az elektromos kézidarabot részesíti előnyben a nagy nyomaték és a kisebb, alacsonyabb sebességnél előforduló torpanási hajlam miatt. A szomszédos premoláris fogat ék (Triodent) segítségével védte az iatrogén sérülésektől (12. ábra). A szomszédos fog iatrogén sérülése jól dokumentált komplikációja a II. osztályú üreg dobozpreparációjának [18].

A cariest lépésről-lépésre távolította el, caries detektáló festék és a Peripheral-Seal koncepció [15] alkalmazásával, amely lehetővé teszi a magas kötőerejű, cariesmentes zománc- és dentinzóna kialakítását a kavitás peremén, miközben a mélyebben lévő, caries által érintett dentin megmarad remineralizáció céljából [16]. A preparáció szélét alumínium-oxid abrázióval kezelte a biofilm és az aprizmatikus zománc eltávolításának céljából, ezzel javítva a kötőerőt [17]; majd karbidfúrókkal elsimította, hogy eltávolítsa a mikroszkopikus szinten törött zománcprizmákat, így csökkentve a „Enamel Peel”-ből eredő fehér vonalak kialakulásának kockázatát (13. ábra) [18].
A fogat 37%-os foszforsavval kondícionálta, majd egy 4. generációs dentin bondot (Optibond FL, Kerr) alkalmazott. A II. osztályú dobozt először centripetálisan zárta [19], folyékony és melegített kompozit kombinációjával, szekciós matrica segítségével.
A dentint hiperkróm, közepes opacitású pasztakompozittal modellezte, amely optikai tulajdonságaiban utánozza a természetes dentint (14. ábra). A barázdarendszerbe okker árnyalatú színezőanyagot vitt fel a restauráció színintenzitásának fokozása érdekében (15. ábra).
Ezután közepes transzlucenciájú, zománcszínű kompozitot helyezett a kavitásba, az okkluzális iránytű technika alkalmazásával. Külsőleg sötétbarna színezést vitt fel a barázdák elszíneződésének imitálására (16. ábra).
A restauráció polírozását korongok és szilikonpolírozók kombinációjával végezte, majd az okklúzió ellenőrzését követően a pácienst a rendelőből otthonába bocsátották. Megjegyzendő, hogy a finírozást követően az eredeti okkluzális anatómia csak minimális mértékben módosult (17. ábra).
2. eset
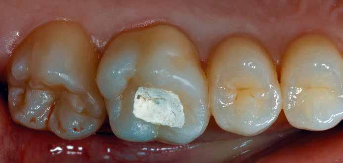
Egy 26 éves páciens a jobb felső első molárisának ideiglenes, endodonciai kezelést követő, I. osztályú restaurációjával jelentkezett. Mivel a fogban jelentős mennyiségű dentin és zománc volt jelen, valamint a marginális peremek épek voltak, a páciens tájékoztatása és beleegyezése után a kezelési terv a direkt kompozit restauráció volt (18. ábra). A fog preparálása az 1. esetben leírtak szerint történt (19. ábra).
Végül a szerző az üreget a „Modified Super-Closed Sandwich Approach” [20] technikával állította helyre (amely a klasszikus rezin-módosított üvegionomer zárt-szendvics technika módosított változata), és az okkluzális iránytű módszerét alkalmazta a rágófelszín lezárására (20. ábra).
Következtetés
Jelen publikáció egy egyszerű, könnyen elsajátítható, mégis kiszámítható technikát kíván megosztani, amely lehetővé teszi minden fogorvos számára, hogy gyönyörű, élethű, esztétikus restaurációkat készítsen, amelyek nem csak funkcionálisak, hanem rétegezést követően nem, vagy csak minimális rágófelszíni korrekciót igényelnek. Mindez megvalósítható egy klinikailag reális időkereten belül egy átlagos fogászati rendelőben, minimális számú kompozit árnyalat és minimális számú eszköz birtokában, valamint az „okklúziós iránytű” ismeretének segítségével.
Forrás: DentalUpdate 2019. április A hivatkozott irodalomjegyzék listája szerkesztőségünkben elérhető.
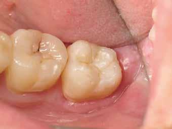
18. ábra: Felső első moláris ideiglenes töméssel ellátva. – 19. ábra: I. osztályú üreg preparációját követő állapot.
20. ábra: Végleges restauráció.









ONLINE MAGAZINOK










Dr. Yassine Harichane (Kanada)
ELSŐ OSZTÁLYÚ ÜREGEK ELLÁTÁSA THERMO-VISZKÓZUS KOMPOZITOK SEGÍTSÉGÉVEL

1. ábra: Az okkluzális felszínről kiindult szuvassággal rendelkező nagyőrlőfog.
Bevezetés
A nano- és nano-hibrid kompozitok több éven keresztül folyamatosan fejlődtek, de a bennük rejlő technológiai potenciál a huszonegyedik század első évtizedében látszólag elérte a maximumát. Azonban a piaci verseny okozta nyomás miatt a fogászati tömőanyagokat gyártó cégek folyamatos fejlesztési kísérleteket végeztek, ahol eredeti és kreatív módszerek segítségével az innováció folytatására törekedtek. Ennek köszönhetően az anyagok felhasználói a kezdetben meglévő anyagtani előnyök mellett folyamatosan új előnyöket élvezhettek a kompozitok felhasználása során. A fejlődésre jó példa a bulk-fill kompozitok megjelenése, amelyek felhasználásával lehetőségünk van gyorsan, egy rétegből álló tömések készítésére.

Esetbemutatás
Az alábbi cikkben egy I. osztályú üreg thermo-viszkózus kompozittal, okkluzális matrica technikával történő ellátásának lépéseit ismertetjük (1. ábra). A kofferdám felhelyezését követően az okkluzális felszín anatómiai karakterisztikáját átlátszó, folyékony, fényrekötő kompozit (Clip Flow, VOCO) segítségével rögzítettük. Az anyagot egy bondecset alkalmazásával vittük fel a fog okkluzális felszínére, majd 10 másodpercen keresztül polimerizációs lámpával megvilágítottuk (2–4. ábra). A megkötött átlátszó okkluzális matrica ellenőrzését követően (5. ábra) alkoholba helyeztük (ethanol vagy izopropil-alkohol), az oxigén inhibíciós réteg eltávolítása érdekében. Ezután a szuvas foganyagot eltávolítottuk (6–7. ábra). A zománcot 30 másodpercig, a dentint pedig 15 másodpercig savaztuk (DeTrey Conditioner 36, Dentsply Sirona), majd a felszínt levegő-vízspray segítségével lemostuk (8 –10. ábra). Mivel a fogbélkamrát már csak egy vékony réteg ép dentin fedte, ezért a pulpa vitalitásának megőrzése érdekében az üreg pulpális falait védőréteggel fedtük (DeTrey Conditioner 36, Dentsply Sirona) (11. ábra). Az adhéziót Futurabond DC (VOCO) felhasználásával biztosítottuk. A bondot bondecsettel 20 másodpercen keresztül az üreg falaiba masszíroztuk, majd 5 másodpercen keresztül olajmentes levegő spray-vel megfújtuk a felesleg eltávolítása és a bondréteg elvékonyítása érdekében. A bondot ezt követően 10 másodpercen keresztül polimerizációs lámpával megvilágítottuk (12–13. ábra). Az üreg alját nagyon vékonyan folyékony kompozitréteggel fedtük (GrandioSO Light Flow, A3.5, VOCO), amelyet 20 másodpercen keresztül polimerizációs lámpával megvilágítottuk (14–15. ábra). A bulk-fill tömőanyagot (VisCalor bulk, A2) egy olyan kézi applikátor


2. ábra: A kofferdám felhelyezése. – 3. ábra: A Clip Flow felvitele bondecset segítségével. – 4. ábra: A Clip Flow megvilágítása.



5. ábra: Okkluzális matrica. – 6. ábra: Az üreg tisztítása során készült felvétel. – 7. ábra: A kitisztított üreg.
segítségével juttattuk az üregbe, amely egyszerre képes a tömőanyag melegítésére és adagolására is (VisCalor Dispenser; VOCO). A felmelegített kompozit folyékony viszkozitással rendelkezett, amelynek köszönhetően nagyon jól lehetett alakítani és akár 4 mm-es rétegvastagságban is lehetett




applikálni (16. ábra). Ahogy az anyag lehűl, és felveszi a test hőmérsékletét, egyre viszkózusabb lesz, amelynek köszönhetően folyamatosan javul az alakíthatósága (17. ábra). Az anyagot 20 másodpercen keresztül polimerizációs lámpával megvilágítottuk (legalább 1000 mW/cm2 teljesítmény).








8. ábra: Szelektív zománcsavazás. – 9. ábra: Dentinsavazás. – 10. ábra: Az üreg lemosása és szárítása után látható állapot. – 11. ábra: A pulpális falak Teliio Desenzitizerrel történő ecsetelése. – 12. ábra: Az üreg falainak Futurabond DC-vel való borítása. – 13. ábra: A bond megvilágítása. – 14. ábra: Az üreg aljának GrandioSO Light Flow-val történő fedése. – 15. ábra: A flow megvilágítása. – 16. ábra: A VisCalor bulk tömőanyag felvitele. – 17. ábra: A VisCalor bulk modellálása. – 18. ábra: A kompozit megvilágítása. – 19. ábra: A VisCalor bulk ismételt felvitele.


20. ábra: A felesleg eltávolítása. – 21. ábra: Az okkluzális matrica felhelyezése.
A bulk-fill kompozitok alkalmazása lehetővé teszi, hogy a töméseket gyorsan, egy réteg alkalmazásával készítsük el. Ha egy második réteg alkalmazására is szükség van, akkor azt a thermo-viszkózis VisCalor A1kompozitból is elkészíthetjük (19. ábra). Ezt 2 mm-es rétegvastagságban visszük fel, majd világítjuk meg. A thermo-viszkózus kompozitréteg konzisztenciája lehetővé teszi az anatómikus fogfelszín kialakítását és a felesleg egyszerű eltávolítását (20. ábra). Az okkluzális matrica ezután került felhelyezésre (21. ábra), majd először a matricán keresztül, utána pedig a matrica eltávolítását követően 20-20 másodpercen keresztül a felszínt megvilágítottuk (22–24. ábra). Mivel előzőleg az oxigén inhibíciós réteg eltávolításra került, ezért nincs szükség semmiféle izoláló, vagy elválasztó réteg felvitelére, amely a matricát a kompozit tömőanyagtól elválasztja. Ennek köszönhetően nincs, vagy csak nagyon kevés olyan szabad polimer van a matricában, amely képes lenne a kompozit tömőanyaggal kémiai kötés létrehozására. Az esetlegesen visszamaradt néhány szabad polimer pedig csak nagyon kis mértékű kötést tud a matricával létrehozni az első polimerizációs ciklust követően, amely lényegében nem befolyásolja a matrica eltávolíthatóságát. A tömés felszínének karakterizálását folyékony színes kompozit segítségével végeztük (FinalTouch, VOCO, narancs; 25. ábra). Ezt szintén 20 másodpercen keresztül világítottuk meg polimerizációs lámpával (26. ábra). Ezután a felszínt glicerin zselével fedtük (27. ábra) és elvégeztük a tömés végső polimerizálását (28. ábra). Ezt a felesleg eltávolítása és a felszín kidolgozása követte (29. ábra). A végeredményt rendkívül esztétikusnak és a kiindulási állapotot hűen reprodukálónak ítéltük meg (30. ábra)
A kiindulási és a posztoperatív röntgenfelvétel segítségével jól meg lehet ítélni az elkészült tömés minőségét (31. ábra).

A thermo-viszkózus kompozit tömőanyag kiváló anyagtani tulajdonságainak köszönhetően nem maradtak vissza légzárványok a tömőanyag rétegei között. A tömés elkészítése során felhasznált három különböző tömőanyag radioopacitása megegyezik, és az egész tömés egy homogén blokknak tűnik a felvételen. Nem látható az átmenet az alaptömésként használt folyékony kompozit, a bulk-fill kompozit és az esztétikus kompozit között.
A kiindulási röntgenfelvétel alapján nem lehetett pontosan megítélni a szuvas lézió mélységét. Csupán a szuvasság feltárását követően vált nyilvánvalóvá, hogy egy rendkívül mélyre terjedő szuvassággal állunk szemben. Ennek megfelelően az üregalakítás befejezésekor már csak egy vékony réteg ép foganyag választotta el a fogbelet a külvilágtól, amely miatt fontos volt az üreg pulpális falainak védőlakkal való fedése.
Megbeszélés
A helyreállító fogászat szinte minden területén alkalmaznak kompozitokat azoknak az eseteknek az ellátása során, amikor az elveszett foganyag helyreállítására van szükség. G. V. Black a tizenkilencedik század végén készítette el a mai napig használatos klasszifikációját, amely öt különböző osztályba sorolja a szuvasság eltávolítását követően létrejött üregeket. A kompozitok kiváló fizikai és optikai tulajdonságai és az egyszerű felhasználhatóságuk lehetővé teszik, hogy az összes osztályba tartozó üreg ellátása során felhasználhatóak legyenek. Ez eredetileg csupán V. osztályból állt, de a huszadik században kiegészítésre került a VI. osztállyal, amely kifejezetten az őrlőfogak csücskeiben létrejött üregekre vonatkozik. Az I. osztályba tartozó üregek, mint az esetbemutatás során ellátott üreg, a fogak rágófelszínén lévő barázdákból indul ki. Ezek jellemzően a kisőrlő és nagyőrlőfogak rágófelszínén alakulnak ki, de a metszőfogak és szemfogak cingulumából is kiindulhatnak. A továbbiakban egy olyan cikksorozat elkészítését tervezzük, amelyben a különböző osztályba tartozó üregek bulk-fill tömőanyaggal való ellátását akarjuk bemutatni. Cikkenként egy-egy eltérő osztályba sorolható üreg ellátásának menetét szeretnénk ismertetni. A modern kompozitokra olyan univerzális felhasználású anyagként tekintünk, amelyek a fogorvosi rendelőkben zajló munka alapvető kellékévé váltak. A kompozitok sokrétűek,


22. ábra: A tömőanyag okkluzális matricán keresztül történő megvilágítása. – 23. ábra: Az okkluzálási matrica eltávolítását követően látható állapot. – 24. ábra: Az okkluzális felszín megvilágítása.






25. ábra: A FinalTouch réteg applikálása. – 26. ábra: Megvilágítás. – 27. ábra: A tömés felszínének glicerin géllel való fedése 28. ábra: A glicerinnel fedett tömés átvilágítása. – 29. ábra: A kidolgozást követően látható állapot. – 30. ábra: Az okklúziós érintkezések ellenőrzése.
de minden esetben könnyen alkalmazhatóak. Mindegy, hogy fogorvostan-hallgató vagy tapasztalt fogorvos használja, minden esetben nagyon jó eredményeket lehet velük elérni. Kiváló szájállóságuknak és esztétikus megjelenésüknek köszönhetően szinte teljesen kiszorították az amalgámot a töméskészítés során alkalmazott anyagok közül. Napjainkban már olyan kompozitok is elérhetőek, amelyek felhasználásával valóban biomimetikus tömések is készíthetők. A kompozitok emellett rendkívül költséghatékonyak, ezáltal a páciensek többsége számára megfizethetőek. A kompozitokat nemcsak a restauratív fogászat területén, hanem a többi fogászati szakágban is használják. A fogszabályzásban az alignerek attachmentjeinek kialakítására, a szájsebészetben a varratok fedésére, a parodontológiában a mozgó fogak sínezésére.
A kompozittömések készítése során figyelembe kell vennünk a fogak természetes rágófelszíni kialakítását. Ha nem fordítunk erre kellő figyelmet, akkor különböző harapási rendellenességeket okozhatunk a pácienseinknek. Szerencsére a páciensek általában azonnal észreveszik és jelzik az okklúziós eltéréseket, így még időben tudjuk őket korrigálni.
A kompozittömések készítése során kihívást jelenthet a rágófelszín anatómiai kellő részletességgel való helyreállítása. Azonban a töméseket készítő fogorvosok kreativitása és a rendelkezésre álló tömőanyagok kiváló anyagtani tulajdonságai lehetővé teszik, hogy viszonylag rövid idő alatt jó minőségű és természetes megjelenésű direkt restaurátumok készüljenek.
Azért döntöttünk thermo-viszkózus bulk-fill kompozit alkalmazása mellett, mivel melegítést követően alacsony viszkozitású anyaggá válik, amely lehetővé teszi a tömés rövid idő alatt történő elkészítését, és ez jelentős kezelési idő megtakarítást jelent.
A végső döntés meghozatala során azonban elsősorban nem az a tény döntött, hogy a bulk-fill anyagokat egy rétegben

ábra: Kiindulási és posztoperatív röntgenfelvétel
is applikálni lehet, hanem az, hogy így előnyösebb esztétikai tulajdonságokkal rendelkező tömést tudtunk készíteni.
Összefoglalás
A tömés elkészítésével nem csak a fog eredeti anatómiai formáját állítottuk helyre, hanem a páciens által korábban tapasztalt fájdalom is megszűnt, amely a fog fiziológiás állapotának és terhelhetőségének helyreállítását is jelentette.
A konzervatív üregalakításnak és az egyszerűen használható thermo-viszkózus kompozit alkalmazásának köszönhetően a beavatkozást egy ülésben el tudtuk végezni. A páciens rendkívül elégedett volt az elért esztétikai eredménnyel, mivel a töméssel helyreállított fogat alig lehetett megkülönböztetni a páciens saját, természetes fogaitól.
Forrás: Cosmetic Dentistry 2025/1
31.
Dr. Maarten de Beer (Hollandia)
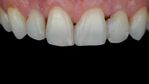
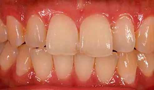
A FEKETE HÁROMSZÖGEK MEGBÍZHATÓ ZÁRÁSA
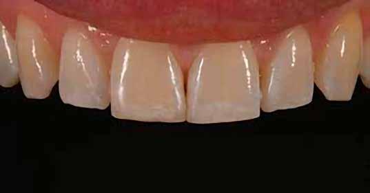
Egy 34 éves páciens esztétikai problémával érkezett. A természetesen keskeny metszőfogak miatt kisebb diasztémák és fekete háromszögek voltak láthatók a front régióban. A rések korábban kompozittal történő zárása már megtörtént, azonban az eredmény nem felelt meg az elvárásoknak (1. ábra). A fekete háromszögek továbbra is láthatóak voltak, és a kompozitanyag jól kivehetően helyezkedett el a fogak felszínén. A 11-es és 21-es fogak szélessége között aszimmetria mutatkozott, a korábbi restaurációk nehezen tisztíthatók voltak, és gyorsan elszíneződtek (2. ábra). A frontfogak palatinális felszínén retenciós drót volt rögzítve, a 11-es és 21-es fogak pedig kompozittal történő sínnel voltak összekötve (3. ábra). Bármilyen további kezelés során a retenciós drót eltávolítása szükséges, mivel az akadályozza a megfelelő approximális restaurációk kivitelezését. Az első konzultáció során teljes fotódokumentáció készült. Egy gyors kompozit mock-up segítségével bemutatásra kerültek a lehetséges esztétikai eredmények. A kezelési terv elfogadását követően időpont egyeztetésre került sor a beavatkozás elvégzésére.

1. ábra: A mosolyról készült fénykép a kezdeti vizsgálat során.

3. ábra: A 11-es és 21-es fogakat kompozittal ragasztották össze a retenciós drót felett.
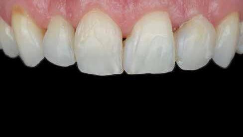
A kezelés első lépése a színárnyalat kiválasztása volt. A megfelelő integráció megítélése érdekében többféle kompozitárnyalat került felhelyezésre a fogak felszínére. A GC G-ænial A’CHORD anyagból az A2, A1, JE és AE árnyalatok kerültek tesztelésre (4. ábra). Keresztpolarizációs fotó segítségével, amely kiszűri a vakuvillanás tükröződését, a színértékelés még pontosabban elvégezhető (5. ábra). Diasztémák vagy fekete háromszögek zárása során gyakran elegendő egyetlen árnyalat alkalmazása, összetett rétegzési technika nélkül. Ebben az esetben a GC G-ænial A’CHORD A1 árnyalata bizonyult a legmegfelelőbb választásnak.
Eltávolításra került a retenciós drót, valamint az összes korábbi kompozit restauráció (6–9. ábra). Ezt követően kofferdam izolálást alkalmaztunk (Isodam Heavy, Sigma Dental) a 15-östől a 25-ös fogig, majd PTFE fonalból készült ligatúrákat (Tandex) helyeztünk be az íny hatékonyabb retrakciója érdekében (10. ábra). A 13-as fognál egy további kofferdam kapocs (Brinker B4, Coltene) is felhelyezésre került, hogy fokozott retrakciót biztosítson, és megfelelően izolálja az ínyrecessziót. A kapocs ívét önsavazó folyékony kompozit-

2. ábra: Közeli felvétel a felső metszőkről; A kompozit restaurációk jól láthatóak voltak.

4. ábra: Színmeghatározás a fogakra felvitt kompozit segítségével (G-ænial A’CHORD A2, A1, JE és AE árnyalatokkal).

5. ábra: A színmeghatározás keresztpolarizált felvétele.



6–8. ábrák: A felső metszőfogakon lévő kompozit eltávolításra került.

9. ábra: A retenciós drót eltávolítása után.

11. ábra: A B4 Brinker kapocs extra retrakciót biztosít (jelen esetben a 13-as fogon).
tal rögzítették (11. ábra). Minden fogat alaposan homokfúvott 29 μm-es alumínium-oxiddal (Aquacare Twin, Velopex), majd 37%-os foszforsavval savazott. Ezt követően minden fogon primer és bonding került felvitelre, majd a 13-as fog restaurálására a G-ænial A’CHORD A1 árnyalatot alkalmazta (12. ábra). Ezután a 12-es fog meziális felszínén történt rest-

10. ábra: Kofferdam izolálás. A fogselyem ligatúrákkal további retrakció érhető el.

12. ábra: A 13-as fog cervikális restaurációja után.
auráció, majd sorra kerültek a 11-es és 21-es fogak. Diasztémák vagy fekete háromszögek zárásakor kiemelten fontos a precíz cervikális kapcsolat kialakítása, miközben mindkét fogegységet egyenletesen kell szélesíteni. Mivel a cervikális és incizális terület között jelentős távolság volt, egy kis „dudor” alakult ki, mielőtt a fog többi részét felépítette vol-










13-16. ábrák: Először egy kis „domborulat” készült átlátszó matrica segítségével; 14) Ez a „domborulat” mindkét fogon kialakításra került, mielőtt a fekete háromszög többi részét lezárták. Ez a módszer nagyobb kontrollt biztosít a restauráció kontúrja és a végső szimmetria felett. 15) Mindkét „domborulat” kialakítása után. 16) A 21-es fog befejezése után. – 17. ábra: Szimmetrikus eredmény mindkét metszőfog befejezése után. – 18–19. ábra: A 12-es és 22-es fogakat tovább bővítették, hogy (nagy részben) lezárják a fekete háromszögeket. – 20. ábra: A kompozitot a fogak bukkális felszínétől egészen a palatinális oldalig lett applikálva a szélesítés érdekében. Ez egyben biztosítja az íny megfelelő megtámasztását is. – 21. ábra: Új retenciós drót elhelyezése. – 22. ábra: Közvetlenül a kofferdam eltávolítása után.
na. Ehhez előre formázott csíkot alkalmazott (BlueView VariStrip, Garrison) (13–14. kép). A dudorok kialakítása után a csíkot eltávolította (15. kép). Ebben a fázisban, szükség esetén, polírozással lehet finomítani, például a tér elosztásának javítása érdekében. Ezután a csíkot visszahelyezte, és a 21es fog incizális éle és a kidudorodás közötti rést kompozit anyaggal töltötte fel (16. ábra). Ezt követően a 11-es fogat is felépítette (17. ábra). Ezt követően a 22-es fog került sorra. Miután minden elemet felépített, gondosan magasfényűre polírozta őket (Diacomp Plus Twist, EvE), majd az összes proximális érintkezést ellenőrizte fogselyemmel (18–20. ábra). Ezután új retenciós sín került felhelyezésre (21. ábra). Közvetlenül a beavatkozás után mindig megfigyelhető egy fekete háromszög, mivel a kofferdam visszahúzta az ínyt.

Emellett a zománc és a kompozit között színeltérés is jelentkezhet az izolálás okozta kiszáradás miatt. Erre minden esetben előzetesen fel kell hívni a páciens figyelmét (22. ábra)
Két héttel később kontrollvizsgálatra került sor. Szép kompozitintegráció volt megfigyelhető, és az ínypapilla csaknem teljesen regenerálódott (23–24. ábra)
Szeretné részletesebben megismerni a kezelést? Tekintse meg a videót (https://www.youtube.com/watch?v=Og3vs0AWh8A), amelyben lépésről lépésre bemutatásra kerül, hogyan történt az egyes fogak helyreállítása.
A cikk először a GC Get Connected applikációban jelent meg 2025 májusában.

23–24. ábrák: Két hét utáni kontroll.
G-ænial™ A’CHORD
Fejlett univerzális kompozit, páratlan egyszerűséggel
Gyönyörű esztétika
Természetes fluoreszcencia és magas fényességi szint és fényességmegtartás
További árnyalatok az extrém kihívásokhoz
Cervikális, opak, zománc és fehérített színek szintén elérhetőek

Unishade rendszer Öt core színnel egyszerűen helyettesítheti a teljes 16 színű VITA palettát egyszerűen
Forradalmi technológia
Szabadalmaztatott töltőanyag, magas elszíneződés elleni védelem és kopásállóság, valamint kiváló röntgenárnyék
Optimális kezelhetőség
Könnyen kezelhető műszerrel vagy ecsettel
GC EUROPE N.V. info.hungary@gc.dental https://www.gc.dental/europe/hu-HU
Dr. Jason Smithson (Egyesült Királyság)
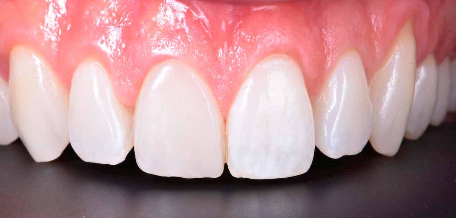
A POSTERIOR FOGAK DIREKT KOMPOZIT RESTAURÁCIÓINAK
FINÍROZÁSA
ÉS POLÍROZÁSA
Vizuális klinikai esetismertetés
A posterior fogak direkt kompozit restaurációja az egyik leggyakrabban végzett beavatkozás a fogászatban. Az elmúlt években kiemelt figyelem irányult az elérhető eredmények optimalizálására, különös tekintettel a II. osztályú kavitás dobozának (Class II box) kialakítására, és a polimerizációs zsugorodásból eredő feszültség kezelésére. A téma körüli széles körű szakmai diskurzus ellenére van egy olyan lépés, amely gyakran nem kapja meg a kellő figyelmet: a mechanikai formázás protokollja. A mechanikai formázás alatt a restauráció kontúrjának kialakítását, a felesleges kompozit eltávolítását értjük a marginális szélekről, illetve ide tartozik a végső polírozás is. Ez a folyamat három fő lépésre bontható: a felszín oxigén által gátolt, nem polimerizált rétegének eltávolítása, a durva finírozás és a végső polírozás. Jelen publikációban részletesen bemutatjuk ezeket a lépéseket, valamint egy klinikailag hatékony megközelítést vázolunk fel a direkt posterior kompozit restaurációk befejezésére.
Az oxigén hatására polimerizálatlan réteg eltávolítása
Az oxigén által gátolt, nem polimerizált réteg (oxygen-inhibited layer, OIL; (https://www.jcd.org.in/article.asp?issn=0972-0707;year=2007;volume=10;issue=1;spage=1;epage=4;aulast=Merwade) minden kompozittal végzett eljárás után problémát jelenthet, legyen szó direkt vagy indirekt restaurációról (az indirekt restaurációk is érintettek, mivel ezek hagyományosan kompozitalapú ragasztócementekkel kerülnek beragasztásra).
Az OIL egy polimerizálatlan, ragacsos, rezinben gazdag réteg, amely a kompozit felszínén alakul ki, ha a polimerizáció levegő jelenlétében történik [1]. Az OIL úgy képződik, hogy a levegőben lévő oxigén beavatkozik a polimerizációs reakcióba. Röviden összefoglalva: az oxigén inkább a kompozit szabad gyök iniciátoraival reagál, mint a monomerekkel. Az oxigén „befogóként” viselkedik, megköti a nagy reakcióképességű szabad gyököket, továbbá stabilabb hidroperoxidokká alakítja azokat. Ennek következményeként a kompozitban lévő monomerek polimerizálatlanul maradnak [2].
Az OIL vastagsága 4 és 40 mikron között változhat [3]. A
réteg vastagságát több tényező is befolyásolja, például a monomer típusa, az iniciátor-aktivátor rendszerek, a részecskemorfológia, a szabadgyök-koncentráció, valamint az oxigénfogyasztás üteme. [4]
Problémafelvetés
Az oxigén által gátolt, polimerizálatlan felszíni réteg jelenlétének következményei:
• Lassabb és kevésbé precíz finírozás, mivel a polimerizálatlan rezin eltömíti a rotációs finírozó eszközök vágófelületét.
• Idővel elszíneződés és kopás figyelhető meg a tömés felületén, különösen az olyan nehezen hozzáférhető területeken, mint az interproximális régió, ahol az OIL eltávolítása finírozó eszközökkel igen nagy kihívást jelent.
A szakirodalomban ajánlott lehetséges megoldások:
1. Matrica alkalmazása, amely fizikai gátként működik a fotopolimerizáció során, megakadályozva az oxigén bejutását.
2. Fotopolimerizáció argonban gazdag atmoszférában. Bár laboratóriumi körülmények között a polimerizáció fokozott mértékét (degree of conversion, DC) írták le, ez a módszer jelenleg korlátozott gyakorlati alkalmazhatósággal bír; mindazonáltal érdemes a jövőben további kutatásokat folytatni ezen a területen.
3. Glicerinréteg felvitele a kompozit felszínére az első fotopolimerizációt követően (https://www.speareducation. com/spear-review/2015/09/why-you-should-be-usingglycerin-on-your-composite-restorations), majd további 20–40 másodperces polimerizáció (a fény intenzitásától függően) kb. 1 mm távolságból. Ezt a módszert ajánlja a szerző.
A durva finírozás 5 fázisa
A durva finírozás célja a széleken fellelhető felesleges kompozit és peremhiba eltávolítása, hogy a restaurátum széle derékszögű, vállszerű záródásban (90°-os butt joint) végződjön. Emellett feladata az anatómiai széli perem5 kialakítása, amely elősegíti az interproximális területek tisztíthatóságát és a megfelelő okkluzális felszín helyreállítását, valamint annak korrekcióját és optimalizálását.
A durva finírozás menete az alábbi 5 fázisban történik:
1. fázis
Egy durva szemcsés, közepes méretű (1/2 inch) alumínium-oxid finírozó koronggal (pl. FlexiDisc®, Cosmedent (https://www.cosmedent.com/product-category/finishingand-polishing/flexidisc/) a mesiális és distális marginális gerincek, valamint a csücsöklejtők kerülnek megmunkálásra, kb. 45°-os szögben a fog hosszanti tengelyéhez képest (lásd 1. ábra)

A korongot 5000–15 000 fordulat/perc fordulatszámon kell használni, vízhűtéssel vagy anélkül. A szerző a vízpermet nélküli alacsonyabb fordulatszámot részesíti előnyben, mivel így kedvezőbb a rálátás és precízebb munka végezhető.
A formázás rövid, szakaszos mozdulatokban történik, hogy elkerülhető legyen a zománc-kompozit határ túlmelegedése. Az asszisztens minden egyes szakasz után bőséges levegő-víz spray-vel (puszter) leöblíti a munkaterületet, ezzel javítva a rálátást és hűtve a restaurációt.
A finírozásnak mindig a kompozittól a fogszövet felé kell irányulnia, így csökkenthető a marginális rések és hibák kialakulásának kockázata [6].
Ennek a fázisnak kettős célja van:
1. A mesiális és distális marginális gerincek lekerekítése, ami esztétikailag kedvezőbb, elősegíti az interdentális tisztítást (a fogselyem beakadásának veszélye nélkül), valamint lehetővé teszi az ideálisabb okklúziós felszín kialakítását (mivel így helyet biztosít az antagonista fog csücskének).
2. A marginális kompozitfelesleg eltávolításával 90°-os záródás alakítható ki a fogszövet és a kompozit között. Ennek kialakítása azért javasolt, mert mechanikailag ez a legkedvezőbb találkozási forma. Amennyiben a felesleges anyag ottmarad, és a páciens ráharap, az rövid időn belül letörik, marginális hibát hagyva maga után.
Még abban az esetben is hajlamos törésre a felesleges anyag, ha nem az okklúziós terhelési zónában helyezkedik el. Miért? Mert az okklúzió során a restaurációra ható erők a dentinen és a parodontális ligamentumon keresztül átadódnak a csontnak. Nagyobb tömegű kompozit képes hatékonyan eloszlatni ezeket az erőket, míg a vékonyabb részekben feszültségkoncentráció jön létre, ami töréshez vezet. Ez a jelenség jól ismert az építőmérnöki szakirodalomban és az ortopédiában is. Amikor az ekvivalens feszültség (a kompozitban ébredő belső feszültség) meghaladja a folyáshatárt (azt a feszültséget, amelynél az anyag már nem képes rugalmasan viselkedni), a kompozit törik, marginális hibát hagyva maga után. Ez a magyarázat arra, hogy a középtávú kontrollvizsgálatok során gyakran megjelenik marginális rés olyan területeken is, amelyek nem részei az okklúziós ter-
helési zónának. A szerző saját klinikai tapasztalatai alapján ez leggyakrabban premolárisokban fordul elő. Ennek oka valószínűleg az, hogy a premolárisokban kevesebb fogszövet áll rendelkezésre a feszültség elvezetéséhez, mint a molárisokban, így a kompozit arányosan nagyobb mértékben van feszültségnek kitéve.
Ezt követően a folyamatot közepes szemcseméretű koronggal kell megismételni, a marginális átmenet egységesebbé tételére. A korongot hátrafelé vezetve, enyhén meghajlítva alkalmazzuk. Ez a módszer – szemben az előrefelé történő vezetés technikájával – lágyabb, kerekebb, természetesebb profilt eredményez, míg az előrefelé történő használat inkább mesterséges hatású, lapos felületeket hoz létre.
Klinikai példa az alábbi képen látható:
2. fázis

2. ábra: A páciens egy nem megfelelő I. osztályú ezüstamalgám töméssel és II. osztályú szuvasodással jelentkezett. A fog izolálása kofferdám alkalmazásával történt.

3. ábra: A preparálás, a bondozás és a kompozit felvitele után. (Megjegyzés: némi kompozit túlfolyás látható a mesiális doboz axiális falain).

4. ábra: A durva finírozás után a restauráció pereme sima és anatómiailag is megfelelő.
Ezt követően a II. osztályú doboz gingivális szélét (ha megfelelő) gyémántbevonatú fém polírcsíkkal szükséges elsimítani. Még a hibátlanul alkalmazott matrica és ék használata mellett is maradhat minimális mennyiségű túlfolyás/bond anyag. Ha ezt nem távolítjuk el, az szájhigiénés problémákhoz, parodontális elváltozásokhoz vagy szekunder caries kialakulásához vezethet.
Ezt a területet egyszerűen el lehet simítani durva, majd közepes szemcseméretű fém polírcsíkkal. Fontos, hogy a polírcsík a kontaktpont alatt (apikálisan) haladjon át, mielőtt aktívan elcsiszoljuk a felesleges kompozitot, így elkerülhető a kontaktpont véletlen eltávolítása.
1. ábra: A restauráció peremének polírozása.
3. fázis
A harmadik fázisban a II. osztályú üreg axiális (vertikális) szélei kerülnek elsimításra 12-es számú (görbített) szikepengével vagy egy masszívabb, kürett típusú depurátorral. A műszerrel kürettáló mozdulatot kell végezni, stabil ujjmegtámasztással. Ügyelni kell arra, hogy a simítás a széllel párhuzamos irányában történjen, ne 90 fokban, mert az negatív perem kialakulásához vezethet.
Ezeket a fázisokat mindig kofferdam izolálás mellett célszerű végezni, a hatékonyság és a páciens lágyrészeit érintő iatrogén sérülésének elkerülése érdekében. A harmadik fázist követően a kofferdamot el lehet távolítani.
4. fázis
Az okklúziós beállítást IKP-ban (maximális interkuszpidációban) és minden irányban vezetett állkapocsmozgásban szükséges elvégezni, a kezelőorvos által preferált fúró és artikulációs papír használatával. A szerző kis, kerek gyémánt fúrófej használatát preferálja, 1:5 áttételes turbina kézidarabban, vízhűtéssel, 5000–10 000 fordulat/perc fordulatszámon.
5. fázis

ábra: A széleket durva szilikon polírozófejekkel finírozzuk.

ábra: A durva finírozás után kialakult szélek.


Ezt követően a szélek és a csücsök-lejtők elsimítása durva, gyémánttal impregnált szilikon polírozófejjel (pl. Venus Supra, Kulzer) történik. A cél a felesleges túlfolyások eltávolítása és a gyémántfúró által az okklúziós beállítás során okozott karcok eltüntetése. A polírfejet 8000–10 000 fordulat/perc fordulaton, vízhűtéssel kell használni, ami javítja a rálátást, csökkenti a marginális hőkárosodást, továbbá növeli a polírozó élettartamát. Enyhe nyomást célszerű gyakorolni a polírozás során (lásd 5. ábra).
Az alábbi sorrend betartásával a durva finírozási fázis foganként körülbelül két-három perc alatt elvégezhető. A feles-
leges kompozit eltávolítását és a derékszögű záródási vonal kialakítását a következő klinikai képsorozat szemlélteti.
Posterior fogak direkt
kompozit restaurációjának
végső polírozása
A végső polírozás célja egy sima, „zománcszerű” felszín kialakítása, amely a páciens lágyrészei számára komfortos, esztétikailag kedvező, valamint ellenáll a lerakódásoknak és az elszíneződésnek. Ez a folyamat négy fázisból áll.

6. ábra: I. osztályú restaurációk az első moláris és a második premoláris fogakban. A széleken felesleges kompozit figyelhető meg (piros nyilak jelölik).
1. fázis
Finom és szuperfinom, közepes méretű polírozó korongok alkalmazásával 10 000–15 000 fordulat/perc sebességen történik a restauráció peremének polírozása. A korongokat hátrafelé irányuló mozdulatokkal, 45°-os szögben kell vezetni a fog hossztengelyéhez képest.
(Fontos: ne váltsunk szuperfinom korongra addig, amíg a finom koronggal el nem távolítottunk minden látható karcolást a tömés felszínéről!)
Amennyiben korlátozott a hozzáférés (pl. a második moláris distális szélénél), érdemes kisebb átmérőjű korongot használni (3/8 inch) a szomszédos lágy-
5. ábra: Gyémánttal impregnált szilikon polírozófejek.
7.
8.
9. ábra: Hat hónapos kontroll.




részek védelmének céljából. Célszerű azonban közepes méretű korongot választani, amenynyiben biztonságosan alkalmazható, mert ez hatékonyabban dolgozik, és kisebb a valószínűsége, hogy árkokat hoz létre a restaurációban.
2. fázis
Finom, gyémánttal impregnált szilikon polírozófejet használunk vízhűtéssel a restaurátum széleinek és a csücsök-lejtők polírozására. Ez a lépés fokozza a restauráció fényét, a karcolások már a durva finírozási szakaszban el lettek távolítva.
3. fázis


Kecskeszőr kefét (pl. Shiny S, https://optident. co.uk/product/shiny-s-goat-hair-brushes/) célszerű alkalmazni stabil nyomással, vízhűtés nélkül, a restaurátum barázdarendszerének polírozására. A polírkefe pumisz pasztával (pl. Vertex® Pumice Plus, https://www.dentaltotal.es/images/ marcas-dentaltotal/VERTEX/CATALOGO_VERTEX.pdf) használandó. Ez a lépés kiküszöböli a barázdákban maradó karcolásokat, amelyek középtávon hajlamosak elszíneződni.
4. fázis
A végső fényesség az 1 mikron szemcseméretű, alumínium-oxid alapú, vízbázisú polírozópasztával (pl. Enamelize®, Cosmedent; https://www.cosmedent.com/product-category/finishing-and-polishing/) érhető el, valamint filc polírozófejek és korongok segítségével. A polírozás fokozatosan
növekvő fordulatszámmal (3000–20 000 fordulat/perc) és csökkenő nyomással történik. A pasztát mindig a fogra/restaurációra kell felvinni, nem pedig a korongra, így elkerülhető a paszta szétszóródása a kezelőben. (Lásd a 10. és 11. ábrát.)
Ezt követően a fogat puszter használatával letisztítjuk, majd a pácienst elbocsátjuk.
Amint látható, ez a protokoll egyszerű és kiszámítható módszert kínál az I. és II. osztályú direkt posterior kompozit restaurátumok tartós, esztétikus felszínének kialakítására (/spear-review/2013/08/evaluating-facial-esthetics-facial-profile).
Forrás: speareducation.com
A hivatkozott irodalomjegyzék listája szerkesztőségünkben elérhető.
10. ábra: Polírozópaszta felvitele.
11. ábra: A végső polírozás.
12. ábra: A premoláris fogak preoperatív állapota.
13. ábra: A premoláris fogak postoperatív fotója.
14. ábra: Egy moláris fog preoperatív állapota.
15. ábra: Egy moláris fog postoperatív fotója.
Prof. dr. Louis Hardan (Libanon)
OKOSTELEFONOK
A FOGÁSZATI RENDELŐKBEN
A fényképezés fontos szerepet játszik a fogászatban is. Alkalmazása sok területen – a diagnosztika, a kezelés megtervezése, a jogi dokumentáció, a publikáció, oktatási célok stb. – a mai modern fogorvosi gyakorlatban alapvető elem lett. Napjainkban a DSLR (Digitális tükörreflexes) fényképezőgépeket széles körben használják a fogászatban a nagy felbontású makrofelvételek készítésére.
A közelmúltban az okostelefonok – a legújabb technológiai fejlődésnek köszönhetően – nagy utat tettek meg a digitális fényképezésben. Megfelelő megvilágítással és speciális tartozékokkal az intraorális és extraorális fényképezés, valamint a videókészítés jóval egyszerűbbé vált. E cikknek az a célja, hogy bemutassa, miként lehet ezekkel a készülékekkel professzionális minőségű fogászati felvételeket készíteni, amelyeket a dokumentáció és a kommunikáció különböző típusaiban, illetve a mindennapi klinikai gyakorlatban is felhasználhatunk. A fényképek készítése a mai, modern fogorvosi rendelőkben már alapfeladatnak számít!
Az utóbbi években az okostelefonok hatalmas utat tettek meg a digitális fényképezés területén is. Írásunkkal szélesebb körű ismeretekhez juthatnak ezekről az eszközökről, egyúttal bizonyítva azt, hogy kiváló minőségű képek készítésére alkalmasak!
A fényképezőgépek a legkisebb részletek széles skáláját is képesek rögzíteni. Még egyes spektrofotométerek vagy a kisebb digitális fényképezőgépek is, ezért a legtöbb digitális fényképezőgép végtelen potenciállal rendelkezik. Mindez független attól, hogy egylencsés tükörreflexes (SLR), kompakt digitális, vagy okostelefonba, esetleg tabletbe épített.
Napjainkban a DSLR (Digital Single Lens Reflex) fényképezőgépeket széles körben használják a fogászatban nagy felbontású makrofelvételek készítésére, de a legújabb technológiai fejlődésnek köszönhetően a mobileszközök is igen jó és minőségi képeket készítenek.
Az okostelefonok és a táblagépek kameráit közhasználatra tervezték, nem pedig a fogászat számára. A makrofunkciókat arra fejlesztették ki ezekben az eszközökben eredetileg, hogy szkennerként használhassák. Képesek legyenek dokumentumokat másolni, és akár azonnal elküldeni. Ezért a legtöbb ember az okostelefonokat pillanatok és helyzetek megörökítésére, például pillanatképek készítésére használja. Az okostelefonok rossz hírnevének leküzdése érdekében – mely szerint rossz minőségű képeket készítenek – ezt a készüléket fényképezőgépként és nem telefonként kell kezelnünk!
Látványos fogászati felvételek mobileszközökkel
Íme néhány kép, amelyek különböző okostelefonokkal és a Smilelite ® készülékkel készültek, a front és a posterior régiókban. Korai lenne azt állítani, hogy az okostelefonok képminőségben felülmúlják a DSLR fényké -

1. ábra: Frontnézet okostelefonnal és Flexipalette® segítségével készített felvételek.

ábra: A frontfogakról könnyen készíthetők képek egy okostelefonnal és a Smilelite® segítségével.


pezőgépeket, az igaz, hogy még van hova fejlődni! A két készülék közötti különbség azonban egyre kisebb lesz, ahogy az okostelefonok technológiája is fokozatosan fejlődik.
A mobil fogászati fotózás rendelkezik néhány érdekes tulajdonsággal és jellemzővel, amelyek előnyösek a fogászati fényképezéshez:
1. Nagyon széles a rekesznyílás a rendkívül kis méretű fényképezőgépben. A rekesz kis mérete miatt, rendszeresen nagyon nagy mélységélesség érhető el anélkül, hogy a képélesség csökkenne.
2. Nagyon magas ISO-beállítások alacsony zajszint mellett.
3. Meglehetősen jó felbontás az apró részletek megjelenítéséhez.
2.
3. ábra: Frontnézet.





9. ábra: A hátsó fogak okostelefonos fényképezésével kifejezetten jó eredményt érhetünk el.


11. ábra: Az okostelefonokkal nagyszerű művészi képek is készíthetők.
12. ábra: Gyönyörű fotók is!

4. Nagy kijelző a képek előnézetéhez és megtekintéséhez, különösen a nagyobb képernyővel rendelkező okostelefonok használata esetén.
5. Akkumulátor-önállóság, amely lehetővé teszi a többórás munkát.
6. Egyes eszközöknél a fehéregyensúly, az expozíció és a fókusz manuálisan módosítható.
7. Az okostelefonok könnyűek és könnyen kezelhetők.
A nagy kérdés továbbra is fennáll: vajon az okostelefonok egy nap felváltják-e a fogászatban a nagy felbontású képek készítéséhez szükséges nehéz és drága berendezéseket?!
Dr. Nicolò Barbera (Svájc)
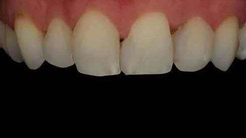
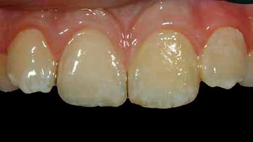
ELSZÍNEZŐDÖTT, KORÁBBAN TRAUMATIZÁLT VITÁLIS
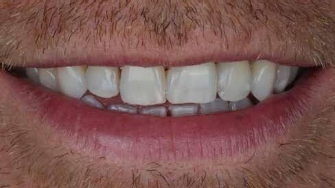
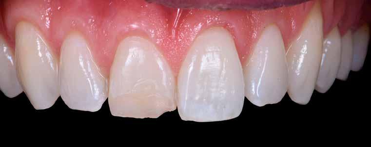
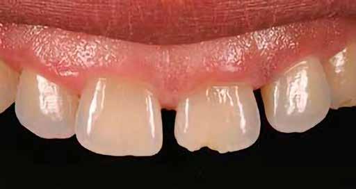
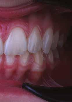
UR1 FOG KEZELÉSE
Egy 30 éves, negatív kórtörténettel rendelkező beteg azzal a kéréssel fordult hozzánk, hogy cseréljük ki az UR1 traumája után, 10 évvel korábban készült korábbi kompozit-helyreállítást.
A klinikai vizsgálat során az UR1 reagál a viabilitási tesztre, és az ugyanazon a napon készült röntgenfelvételen nem mutat periapikális elváltozásokat (1. ábra).
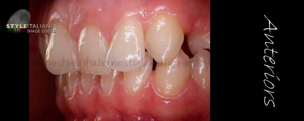
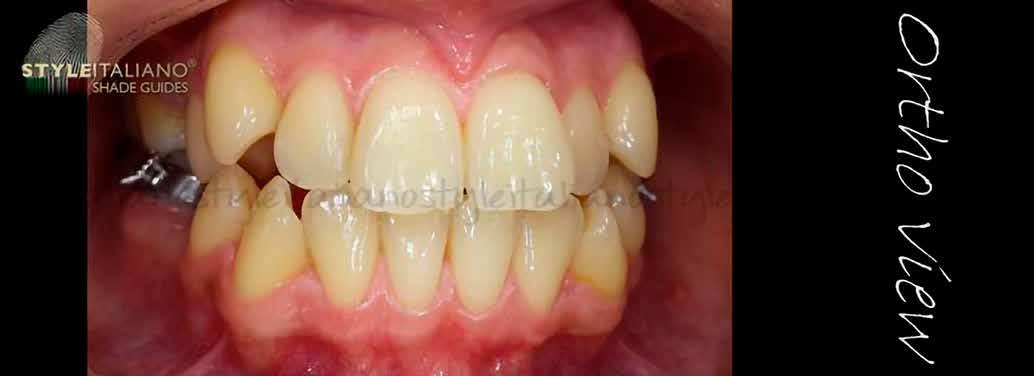
Az UR1 elszíneződött, és palatálisabb helyzetben van, mint az ellenoldali központi UL1 (2. ábra)
Az esztétikai elemzés a gingivális zenit aszimmetriáját mutatja az UR1 és az UL1 között. Parodontális szonda segítségével, plexusérzéstelenítés után, az IA

típusú funkcionális hám megváltozott passzív erupcióját igazoljuk Coslet és mtsai. osztályozása szerint (3. ábra)
A lehető legkonzervatívabb helyreállító kezelés elvégzése érdekében a páciensnél, figyelembe véve a megtartott fogelem korát és vitalitását, a tervezés és a diagnosztikai felviaszolás után a közvetlen kompozit-helyreállítás elvégzése mellett döntünk.





1. ábra: Röntgenfelvétel periapikális elváltozás nélkül. – 2. ábra: Az UR1 elszíneződése és palatális helyzete.
3. ábra: Az esztétikai elemzés a gingivális zenit aszimmetriáját mutatja. – 4. ábra: Az UR1 izolálása kofferdámmal.
5. ábra: Törött kompozit-helyreállítás eltávolítása. – 6. ábra: Matrica és adhézió használata 3 lépéses etch&rinse rendszerrel.


7. ábra: A vesztibuláris kiemelkedési profil helyreállítása zománcszínű kompozittal. – 8. ábra: A palatinális fal helyreállítása zománcszínű kompozittal.


9. ábra: A dentin anatómiájának helyreállítása átlátszatlan dentinszínű kompozittal. – 10. ábra: Világoskék és fehér effektszínek használata.


11. ábra: A rétegezés véglegesítése zománcszínnel. – 12. ábra: Az UL1 átmenő vonalainak emulálása finírozás közben.
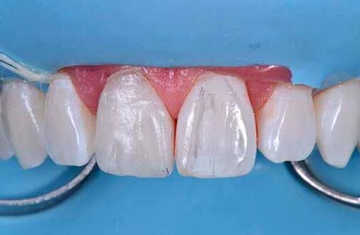
A kezelés napján, helyi plexusérzéstelenítést követően, az UR1-et kofferdámmal izoláljuk, kiterjesztve az izolációt az első premolárisokra (4. ábra)
Ezt követően eltávolítjuk a törött kompozt-helyreállítást, és az előkészített fogon rövid ferdére preparálást készítünk, majd az UR1 teljes felületén homokfúvást végzünk 27 μm-es alumínium-oxid porral (5. ábra)
A megváltozott passzív erupció korrigálása érdekében úgy döntöttünk, hogy a fog kiemelkedési profilját a vesztibuláris kidomborodás hangsúlyozásával és az ellenoldali elemmel való szimmetriára törekvéssel újra létrehozzuk. Erre a célra
egy előre megformázott fémmatricát használunk, amelyet két ékkel blokkolunk.
A matrica adaptálása után az adhéziós eljárásokat egy 3 lépéses etch&rinse rendszerrel végezzük. Minden egyes lépést 40 másodperces, UV-fénnyel történő polimerizálás követ (6. ábra)
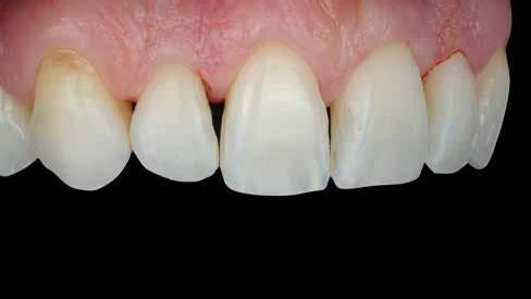
A vesztibuláris kiemelkedési profilt zománcszínű kompozittal (a TOKUYAMA DENTAL ESTELITE ASTERIA WE termékével) állítjuk helyre (7. ábra).
A diagnosztikai felviaszolás szilikonindexének elkészítése után a palatinális falat zománcszínű kompozittal (a TOKUYAMA DENTAL ESTELITE ASTERIA WE termékével) helyreállítjuk (8. ábra)



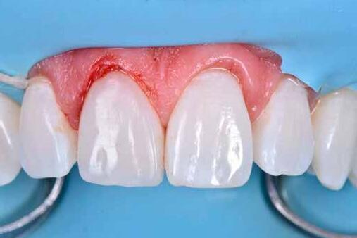
Ezt követően helyreállítjuk a dentin anatómiáját a mamelonok reprodukálásával egy átlátszatlan dentinszínű kompozittal (a TOKUYAMA DENTAL ESTELITE SIGMA QUICK OA2 termékével); ez a szín alapvető fontosságú lesz a diszkromatikus elem színének korrigálásához is (9. ábra) Világoskék és fehér hatású árnyalatokat (a TOKUYAMA
DENTAL ESTELITE COLOR termékét) alkalmazunk az opá-
losság emulálásához az incizális területen (10. ábra)
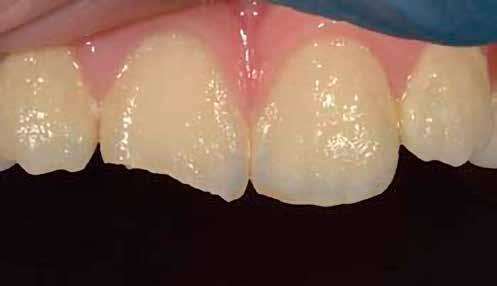
A rétegezést egy zománcszín (a TOKUYAMA DENTAL ESTELITE ASTERIA WE terméke) használatával végezzük a vesztibulárisban, egyszeri hozzáadással. A vesztibuláris felületet háromdimenziós térfogatban modellezzük és vezéreljük annak érdekében, hogy a lehető legkevesebb végső kiigazítás legyen. Ezután 20 másodpercig polimerizáljuk, majd 40 másodpercig polimerizáljuk vesztibulárisan és palatinálisan, miután bevontuk őket gliceringéllel a kompozit hibrid rétegének elkerülése érdekében (11. ábra).
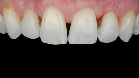
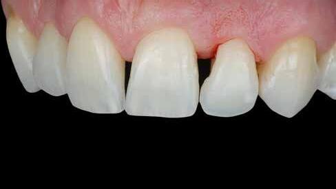
A finírozási és polírozási eljárásokat úgy végezzük, hogy megpróbáljuk emulálni az UL1 átmenő vonalait (12–13. ábra)
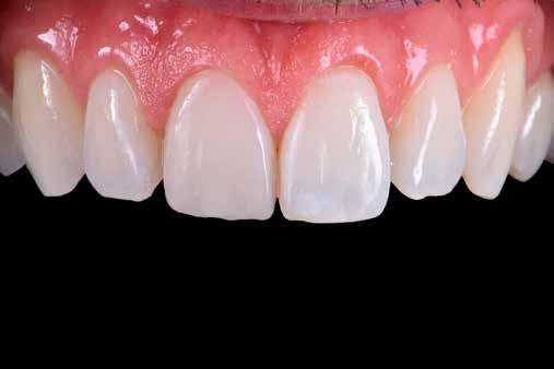
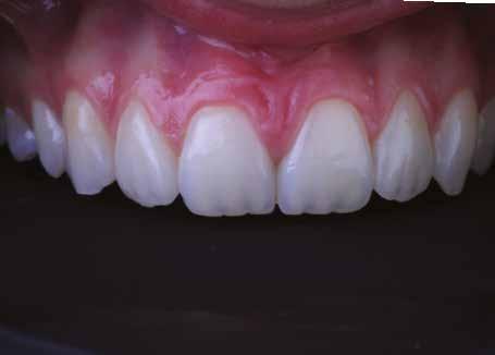
A pácienst 21 nap (14–15. ábrák) és 12 hónap (16. ábra) után ismét ellenőrizzük, hogy értékeljük az esztétikai eredményt a forma és a szín tekintetében.
Forrás: tokuyama-dental.eu (X)

13. ábra: Az UL1 emulálása polírozás közben. – 14. ábra: A helyreállítás 21 nap után.
15. ábra: A helyreállítás 21 nap után.
16. ábra: A helyreállítás 12 hónap után.

6 fejezet 49 szakmai cikk 388 oldal 1980 színes kép

Róth Lajos
Dr. Arthur Volker
GYORSÍTOTT POLIKROMATIKUS
IV. OSZTÁLYÚ RESTAURÁLÁS
Egy teljes mosoly megtervezésekor vagy javításakor – akár közvetlenül, akár közvetve – a klinikus vagy a technikus alkotó, akinek feladata egy művészi remekmű létrehozása. Egy metszőfogtörés esetében azonban a klinikus kevésbé alkotó, mint inkább kovácsmester, akinek a környező és szomszédos fogazat minden optikai szempontját le kell utánoznia. Ez kihívást jelenthet az árnyalatválasztás szempontjából, mivel a legnagyobb színvariabilitás jellemzően a metszőfogak metsző harmadában található. Ez különösen igaz a fiatalabb páciensekre, akiknek gyakran van kiemelkedő áttetszőségük és opacitásuk ebben a régióban.



1. a–c ábra: A IV. osztályú restauráció rétegezésének irányításához használt szájpadlásstent.
Több taktika is segíthet az összetett tömegek rétegződésének kezelésében ezekben a forgatókönyvekben. A palatális stent használata ennek egyik kiszámítható módja (1–4. ábra). Ennél a technikánál a törött területről egy modellen wax-up vagy mock-up készül, és egy gyurma PVS stentet vagy indexet állítanak elő. Ebből egy vékony réteg erős, félig áttetsző kompozit – tipikusan nano- vagy mikrohibrid – kerül a stentre, amely a szájpadlásfelületet reprodukálja. Ezt követően különböző opacitású és transzlucenciájú kompozitrétegeket rétegeznek az arcfelületre, így létrehozva egy zökkenőmentes restaurációt (1. a–c. ábra). Mivel viaszfelvételből készül, az okkluzális tényezőknek jól ellenőrizhetőnek kell lenniük.
Ennek a technikának az a hátránya, hogy szükség van egy mock-upra, akár intraorálisan, akár egy modellen történő wax-up segítségével. Ez időigényes lehet, és második időpontot igényelhet, amely nehéz vagy nem praktikus, különösen gyermek- vagy sürgősségi páciensek esetében. Ezenkívül kis törések esetén a kompozittömegek behelyezése nehezebben megoldható, mint nagyobb törések esetén. Egy alternatív megközelítés az „üres vászon technika”, amely gyorsított polikromatikus helyreállítást biztosíthat kisebb törések, sürgősségi esetek vagy gyermekpáciensek esetében. Ez egy kromatikus mikrohibrid alapot használ, amelyet szükség esetén tinták vagy opakok követnek, és egy vékony réteg akromatikus mikrokitöltésű kompozit fed. A cél a törés elfedése és egy élethű, a környező fogazat transzlucenciájának és opacitásának megfelelő helyreállítás biztosítása.
Anyagok
Kromatikus mikrohibrid vászon
A restaurálás alapjául vagy vásznaként egy kromatikus mikrohibridet használnak. A restauráció körülbelül 80–85%-a mikrohibrid kompozitból áll. A kromatikus mikrohibrid előnye kettős. Először is, nagy hajlítószilárdsága segít ellenállni az okkluzális terhelésnek (5–6. ábra) Másodszor, a mikrohibrid magas opacitása segít elfedni a töréseket (7–8. ábra)
A mikrohibridekkel az a probléma, hogy nem tartják jól a polírozást, és idővel tompának tűnhetnek.
Árnyalatok és fedőfestékek
A különböző áttetszőségek és opacitások reprodukálására szolgáló kompozittestek helyett folyékony fedőfestékeket és árnyalatokat használunk ehhez a funkcióhoz.
A bemetszési perem polikromatikus megjelenése a zománc bukkális és lingvális felszínén keresztül visszavert vagy áteresztett fény függvénye. Ez egy optikai hatás és nem ana-

2. ábra: A 9. számú fog törött részén metszési halo. A #8-as restauráción észlelt incisalis halo tipikus klinikai megjelenése.

4. ábra: A nem esztétikus, egyszínű restauráció kezdeti bemutatása.

6. ábra: Azonnali műtét utáni fénykép.

8. ábra: A műtét előtti kezdeti fotó a IV. osztályú törést mutatja.
tómiai jellemző; az áttetsző vagy opálos jelenség akkor figyelhető meg, amikor a fény a zománc kristályos szerkezetén belül visszaverődik. Amikor a fényt ugyanezen a terü-

3. ábra: Kilenc év elteltével különbség a magas fényű mikrokitöltés (balra) és a mikrohibrid között.

5. ábra: A vízszintes hiperkromatikus hatások létrehozásához használt #8 K-file.

7. ábra: A helyreállítás négyéves visszaemlékezése.

9. ábra: Kerek gyémántfúró az átmeneti zóna lekerekítéséhez.
leten áteresztik, a metszőfog szélén opacitás látható (9. ábra) Ezt nevezik ellenopaleszcens hatásnak vagy, amely még gyakoribb, „metszőfog halónak” (10. ábra).


10. ábra: Lánggyémánt a végtelen ferdeség létrehozásához. – 11. ábra: Az átmeneti zóna ferdéje fölé helyezett kromatikus mikrohibrid, amely „üres vásznat” hoz létre.

12. ábra: Az áttetszőség szimulálására elhelyezett folyékony szürke árnyalat.
Az erős opaleszcencia jellemzően erős ellenopaleszcenciával jár. A 2. ábra szemléltetésképpen a 9. fog törésének metszőleges szélén megfigyelhető inceszális halót mutatja.
A #8-as fogon egy hagyományosabb opaleszcencia/kontrapaleszcencia mintázat látható.
A transzlucencia megjelenése szürke, lila vagy kék színárnyalatokkal reprodukálható. A metszőfogak halójának kiemelésére fehér vagy árnyalatú opakert lehet használni. Megjegyzendő, hogy folyékony opakkerek is használhatók a kalcifikációk vagy a maverick hatások reprodukálására, és segíthetnek a törésvonalak elfedésében (11. ábra)
Mikrokitöltésű kompozit
A restauráció végső és leginkább fakális része egy mikrotöltött kompozit lesz, amely könnyen polírozható és idővel megőrzi fényét (12. ábra) A 3. ábra a 9. fogon lévő réteges kompozitburkolat kilencéves követését mutatja. A páciens nem járt fogorvosnál mióta a burkolat elkészült. Az azonos szájüregi körülményeknek kitéve a mikrohibrid tompa megjelenése a distoincisalis részen ellentétben áll a mikrotöltött kompoziton megfigyelhető magas csillogással.
A mikrotöltésű kompozitok röntgenelnyelőek, különösen a mikrohíddal (13. ábra) összehasonlítva, amely a röntgenfelvételeken diagnosztikai problémát jelenthet, különösen az interproximális területeken. Mivel eredendően gyengék, a mikrotöltelékeket nem szabad olyan területekre helyezni, amelyek okklusális terhelésnek lesznek kitéve (6. ábra). Csak kis mennyiséget kell használni, az okklusális terhelés a sokkal erősebb mikrohibrid kompozitra marad.

13. ábra: Folyékony opaquer a metszőfogak szélén a metszőfogak halójának másolására.
Esetpélda árnyalatokkal
Egy páciens elégedetlen volt a 8. fog incisofaciális felszínén lévő kéthetes restaurációval, mert úgy gondolta, hogy a központi metszőfogak nem illeszkednek egymáshoz. A vizsgálat során megállapították, hogy bár az egyszínű kompozit valóban megegyezett a fog alapszínével, további színre (árnyalatra) volt szükség a szomszédos fog utánzásához (4. ábra).
A fogakat nehéz latexmentes gumidámmal (Isodam, 4D Rubber) izolálták. A meglévő kompozitot eltávolítottuk; egy kromatikus mikrotöltésű kompozitot helyeztünk fel, és egy fehér színt (Creating Color, Cosmedent) vittünk fel egy #8-as K-résszel, vízszintes mozgással, hogy a vízszintes mintázatot lemásoljuk (5. ábra), ezután egy akromatikus mikrotöltésű kompozitot adtak hozzá. A 6. ábra az azonnali posztoperatív eredményt mutatja, a 7. ábra pedig a négyéves utóvizsgálatot, amely a mikrotöltött kompozit megmaradt fényét mutatja.
Üres
ELŐKÉSZÍTÉS
A törés lefedése két lépésből áll. Az első előkészítés egy 1–1,5 mm hosszú és 0,5 mm mély, a törés perifériája mentén elhelyezkedő, általában kerek gyémántfúróval végzett ferdítés. Ez a preparálás segít elfedni a törés nyomait. A letörést mikrohíddal fedjük le.


A második preparátum egy hosszú ferde – gyakran végtelen ferde vagy csillag alakú ferde (14. ábra) –, amely segít abban, hogy a mikrotöltött kompozit beleolvadjon a fogtestbe. A hosszú fazont lánggyémánttal készítik el, és szabálytalan mintázatban helyezik el.
A 8. ábra a kiindulási helyzetet mutatja a 9. fogon lévő MILF-töréssel. A durva és éles területeket elsimítottuk, és egy kerek gyémántfúróval létrehoztuk az átmeneti zóna se-



kély ferdeségét (9. ábra). Egy lánggyémántot használtunk a végtelen ferdeség kialakításához (10. ábra).
KOMPOZIT RÉTEGEZÉS
A restauráció nagy részének újraalkotásához kromatikus mikrohibridet (Renamel Microhybrid, Cosmedent) – ebben a példában az A1-es árnyalatot – használtunk. A mikrohibrid a teljes palatális oldalt fogja alkotni, és az arc felőli oldalon az átmeneti zóna ferde részének teljes egészét le kell fednie. Nem tanácsos, hogy a mikrohibrid túlmenjen a chamfer szélén, mert akkor nem marad hely a mikrotöltött kompozit számára, és a restauráció ezen része idővel tompának tűnhet, amely optikai diszharmóniát okozhat.
Ne feledje, hogy ha a chamfer nincs teljesen lefedve, a törés továbbra is látható lehet. Szükség esetén folyékony opakert lehet hozzáadni a törésvonal további elfedésére. Így jön létre az „üres vászon”. A felesleg vagy az okklúzió ezen a ponton beállítható. Ez szárazon történik, majd a restaurációra töltetlen gyanta (Complete Unfilled Resin, Cosmedent) kerül. A 11. ábra a behelyezett és beállított mikrohibridet mutatja. Mivel a szomszédos központi metszőfogon nagy mennyiségű metszőfog-transzlucencia, valamint egy kiemelkedő metsző-


14. ábra: Tinták és fedőlakk kikeményítve. Figyeljük meg a polikromatikus megjelenés kialakulását.
16. ábra: Végeredmény.
15. ábra: Akromatikus mikrokitöltés az arcfelület átfedésére.






17–21. ábra: További klinikai példákat mutatnak a technikával helyreállított fogakra.
fog-halo volt, egy vékony, éles szondával (Matt’s Probe) szürke színt (Creative Color, Cosmedent) helyeztünk a metszőfog harmadára, ügyelve arra, hogy elkerüljük a metszőfog szélét (12. ábra). A mikrohibrid eredendő opacitása gyakran szolgálhat a fog szélén a metszőfogak halójaként, bár ha szükséges, a metszőfogak halóját tovább lehet fokozni folyékony opakkerrel. Ebben az esetben a fehér és A1 opaquer 50/50 arányú kombinációját egy gyantatartóban keverve, a szonda segítségével vittük fel az incisalis szélre (13. ábra). A 14. ábra a mikrohibrid kompozit felett a kikeményített árnyalatok és opakkerek hatását mutatja, amely polikromatikus hatást mutat. A tinták és opakok metsző hatásának fokozása és a tartós fényezés érdekében kis mennyiségű achromatikus mikrotöltésű kompozitot (Light Incisal, Cosmedent) helyeztek fel végső rétegként. A kompozitnak el kell fednie a lánggyémánt által létrehozott végtelenített ferdeséget, és csak a restauráció arcfelületére kell kerülnie, nem helyezhető el semmilyen okklúziós területre. A 15. ábra a felhelyezett, formázott mikrotöltött kompozitot szemlélteti. (Kromatikus kompozit is használható, ha a metszéshatás nem kifejezett.) Korongok és polírozók kombinációjával a restaurációt a szomszédos fog utánzása érdekében befejezték (16. ábra).
Következtetés
A blank canvas technika gyorsított módszert jelent a polikromatikus IV. osztályú törések megoldására olyan esetekben, mint a trauma (felnőtt és gyermek), valamint a kis törések, ahol nehéz lehet a kompozittömegek manipulálása, vagy ha a szájpadlásrögzítés tarthatatlan.

1. táblázat
Az 1. táblázat a technika előnyeit és hátrányait sorolja fel. Megjegyzendő, hogy nanotöltésű vagy nanohibrid kompozitok is használhatók ehhez a technikához, ha kisebb készletre van szükség, bár ez némi esztétikai és funkcionális kompromisszumot jelenthet.










A cikkünkben bemutatásra kerülő eset ellátása során preparációt héjak készre vitele során a platinafólia technikát alkalmaztuk.
kívül vékonyak, és ezáltal a végleges rögzítésük előtt jelentős olyan minimál invazív kezelési eljárásnak számítanak, amely
elérni. A fent leírtak alapján bátran

preparációt nem igénylő héjak készítése mellett döntöttünk. A alkalmaztuk. Annak ellenére, hogy az elkészítésre kerülő héjak rendjelentős törésveszéllyel állunk szemben, összességében mégis amely segítségével kifogástalan esztétikai eredményeket lehet javasoljuk e módszer alkalmazását.

Dr. Alina Lazar (Németország)
A TERMÉSZETES FOGAZAT
FUNKCIÓJÁNAK ÉS ESZTÉTIKÁJÁNAK
HELYREÁLLÍTÁSA HÉJAK SEGÍTSÉGÉVEL
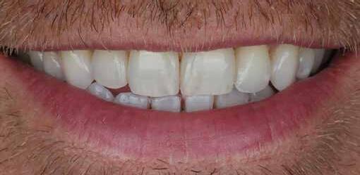
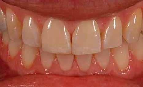
A fogászati kezelések során manapság már nem kizárólag az esztétikai megjelenés helyreállítására törekszünk. Sokszor a kedvezőtlen esztétikai megjelenés hátterében álló okok következményes módon a fogazat funkcionális működését is károsítják, így a kezelések során ezeknek a helyreállításával is foglalkoznunk kell. A különböző funkcionális és esztétikai diszkrepanciák kezelésére számtalan módszer létezik, ám ezen fogászati beavatkozások mindegyikében közös, hogy a kivitelezésük során nagyon szoros együttműködésre van szükség a kezelést végző fogorvos és a munkáját segítő fogtechnikus között. Az alábbi esetbemutatás során egy fiatal hölgypáciens fogazatának héjak alkalmazásával történő esztétikai és funkcionális rehabilitációját szeretnénk ismertetni.


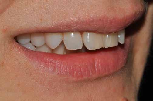
1. és 2. ábra: A kiindulási és a befejezést követően látható állapot összehasonlítása extraorális felvételek segítségével.
Esetbemutatás
A 19 éves hölgypáciens azzal a kéréssel jelentkezett a rendelőnkbe, hogy szebb fogakat szeretne. Az első konzultáció alkalmával megkérdeztük, hogy mi zavarja leginkább a fogazatának jelenlegi megjelenésében, valamint azt is megbeszéltük vele, hogy milyen végeredmény elérése esetén lenne maradéktalanul elégedett. Ebben az esetben a kezelési célokat az alábbiakban határoztuk meg:
A páciens fogazata esztétikai megjelenésének és funkcionális működésének a lehető legtöbb, saját foganyag megtartása mellett történő helyreállítása (1. és 3. ábra). A lehető legideálisabb esztétikai végeredmény elérése érdekében néhány esetben a fogak alakjának módosítá -
sára is szükség van (2. és 4. ábra).
A kezelés megtervezése során kifejezett jelentősége van annak, hogy jó kommunikáció legyen a páciens, a fogorvos és a fogtechnikus között. A páciens leendő fogazatának természetes megjelenését a kezelésben részt vevő team szakmai felkészültsége, gyakorlati tapasztalata és a kezelés sikerességének irányába történő elkötelezettsége biztosítja. A beavatkozások megkezdése előtt megtörtént a páciens anamnézisének a felvétele, valamint a klinikai kivizsgálását is elvégeztük. Ezt követően lenyomatokat készítettünk a kiindulási állapotról, majd a kiindulási helyzetet extra- és intraorális fotók segítségével is rögzítettük (13. a-c. ábra).
Mock-up
A kezeléstervezés egyik legfontosabb lépése a mock-up elkészítése. A mock-up alapjául szolgáló wax-up-ot (felviaszolás) is ugyanolyan részletességgel kell a fogtechnikusnak elkészíteni, mintha azok már a végleges fogpótlások alapjául szolgáló mintázatok lennének. A mock-upnak nagyon pontosan kell illeszkednie, valamint a tervezett fogpótlás meg-

jelenését is rendkívül élethűen kell reprezentálnia. Ahhoz, hogy a páciens mock-uppal kapcsolatos első benyomásai kedvezőek legyenek, a mock-up színének a páciens „szemfehérjének” színével meg kell egyeznie. A kezelési cél páciens által történő elfogadása és a tervezett eredménnyel kapcsolatos „wow-effektus” kialakulása nagyban függ a páciensben az első megtekintés során kialakult első benyomásoktól.

Az eddigi tapasztalataink szerint a páciensek jelentős többsége egyértelműen kifejezi az elégedettségét, ha a mock-up megfelel az eredeti elképzeléseiknek. A bemutatásra kerülő esetben is ez történt. A tervezett végeredmény megtekintését követően a páciens azonnal kérte az általunk javasolt kezelési tervben ismertetett beavatkozások elvégzését. A héjak alapanyagául az Ivoclar Vivadent által gyártott A1-es színű Telio CS kerámiát javasoltuk. Az anyagválasztás hátterében az állt, hogy ez az anyag nagy keménységgel rendelkezik, valamint az, hogy a felszínét nagy simaságúra lehet polírozni. A páciens rendkívül fiatal életkora is azt a terápiás koncepciót erősítette, hogy a kezelés során lehetőség szerint kizárólag non-invazív beavatkozásokat alkalmazzunk.
A különböző kezelési lehetőségek ismertetése során három eltérő terápiás megoldást vázoltunk fel számára:
• Állcsont-orthopédiai kezelés;
• Kompozittal történő direkt felépítés;
• Non-prep és minimál invazív előkészítést igénylő héjakkal történő ellátás.
A különböző terápiás lehetőségek bemutatása során a kezelésekkel járó lehetséges előnyök és hátrányok is ismertetésre kerültek.
A páciens már kezdetben is rendkívüli érdeklődést mutatott a preparálást nem igénylő (non-prep), héjakkal történő ellátással kapcsolatban. Ennek a terápiás modalitásnak az előnyei közé tartozik, hogy a fogakat egyáltalán nem, vagy csak minimál invazív módon kell preparálni, nincs szükség ideiglenes héjak készítésére, a héjak alapanyagául szolgáló kerámia nem hajlamos az elszíneződésre, nem jellemző a beavatkozások elvégzését követően jelentkező posztoperatív szenzitivitás, valamint hogy ezzel a módszerrel rendkívül kedvező esztétikai végeredményt lehet elérni. A fenti előnyök rendkívül meggyőzően hatottak a páciensre. A döntése során azt is figyelembe vette, hogy amennyiben ezeket a viszonylag költséges restaurátumokat választja, akkor ez a kezelés végösszegét is jelentős mértékben befolyásolja.
A kezelés során az jelentette a legnagyobb kihívást, hogy a héjakkal ellátott fogak élethűen utánozzák a természetes fogazat megjelenését. A fogpótlás színének, valamint a restaurátumok felszíni textúrájának és alakjának harmonikusan kell a páciens arcesztétikájához és karakteréhez illeszkednie. A tényleges protetikai ellátás megkezdése előtt a páciens mosolygás közben látható fogait otthoni fogfehérítés keretei között a kérésének megfelelő A1-es fogszín eléréséig fehérítettük. A fehérítés során a későbbiekben héjakkal ellátásra kerülő fogak színén nem változtattunk. A fogak előkészítése részeként csupán a két felső nagymetsző (1.1,2.1) incizális élét kellett kismértékben redukálni. A többi felső front fog (1.3,1.2,2.2,2.3) nem került preparálásra.
Platinafólia technika
A platinafólia technikát 1896 óta alkalmazzák. Napjainkra az eredeti eljárás már kismértékben módosításra került, de lényegében ugyanazzal a módszerrel történik a platinafóliára készülő koronák és héjak elkészítése. A minimál invazív fogászat egyre szélesebb körben történő elterjedésének köszönhetően ez az eljárás a reneszánszát éli. A pácienseink egyre gyakrabban szeretnék a fogaik alaki, színi vagy helyzeti rendellenességeit a lehető legkisebb saját foganyagveszteség árán korrigáltatni. Az eljárás során 0,025 mm vastag 99,9%-os tisztaságú platinafólia kerül alkalmazásra. Amennyiben a megfelelő technikai háttér és a beavatkozások elvégzéséhez szükséges elméleti és gyakorlati szaktudás is rendelkezésünkre áll, akkor semmi sem állhat az utunkba a pácienseink új mosolyának kialakítása során.
A módszer első lépéseként a gipszből kiöntött csonkokat platinafóliával borítjuk (5. ábra). Az adaptálását követően a felhelyezett fóliát óvatosan eltávolítjuk, felhevítjük, majd ismét visszahelyezzük a csonkokra. Ezt követően történik meg az első kerámiaréteg felvitele (Waschbrand). Az első égetés során csupán egy nagyon vékony réteg kerámia kerül a fólia felszínére (6. ábra). Amikor az égetést követően ezt
3. ábra: Kiindulási állapot.
4. ábra: A fogakra helyezett mock-up.






a kezdetleges kerámiavázat visszahelyezzük a csonkokra, a kerámia anyagában vékony repedések alakulnak ki. A végleges restaurátum elkészítéséhez szükséges kerámia „köpeny” ekkor áll készen a további kerámiarétegek felvitelére és kiégetésére (opaker réteg, dentin- és zománcmassza felvitele) (7-10. ábra). A készülő fogpótlás végső formai megjelenése rétegenként kerül kialakításra.
A második égetés során szintén csupán egy nagyon vékony réteg transzlucens opalmassza kerül felhelyezésre. A restaurátum formai megjelenésének és a felszíni textúrák kialakítására csak ezt követően kerül sor. A fényégetés során nem alkalmazunk glazúrmasszát. A készre vitel során elérni kívánt, magas fényű polírt kézi eszközök alkalmazásával alakítjuk ki. A restaurátumok végső kidolgozását követően a platinafóliát egy csipesz segítségével óvatosan eltávolítjuk, majd a kifejezetten vékony héjakat a kontroll mintára helyezzük. Ezt követően a pótlások megfelelő illeszkedésén kívül a funkcionális elmozdulások közben kialakuló érintkezéseket és a kontaktpontokat is ellenőrizzük. Az ilyenkor esetlegesen szükségessé váló korrekciók elvégzésére a Ducera® LFC (Dentsply Sirona) kerámiaanyagot használjuk. A kész munka fogorvosi rendelőbe való szállítása előtt kifejezett jelentőséggel bír az elkészült restaurátumok gondos becsomagolása. Az átadni kívánt fogpótlások sérülésmentes szállíthatóságának biztosítása elengedhetetlen az eddigi munkánk védelme szempontjából.
Rendelői fogpróba
A héjak átadását követően kialakuló állapot valósághű módon történő bemutatása érdekében próbapasztát alkalmaztunk (Try-In-Paste; Variolink® Esthetik Try-In-Paste, Ivoclar Vivadent) (11. ábra). A próba során ellenőrizzük a héjak színét, formáját és transzparenciáját. A próbapaszta alkalmazásának egyik lényeges pontja, hogy a paszta színe egyezzen meg a végleges beragasztás során alkalmazni kíván ragasztóanyag színével. A héjak végleges rögzítése során mindig adhezív rendszereket használunk.
Az elkészült héjak törésre való hajlama
A preparálást nem igénylő héjak általában nagyon vékonyak, és sajnálatos módon ebből adódóan a végleges átadásuk előtt történő előkészítés során könnyen eltörhetnek. Csupán a páciensek saját fogain történő végleges rögzítés révén kapják meg azt az alátámasztottságot, amely a végleges töréssel szembeni ellenálló képességüket biztosítja. A fogpróba során a héjakat egyesével a fogakra helyezzük, és ellenőrizzük a pontos illeszkedésüket, valamint az approximális kontaktpontok megfelelőségét. Amenynyiben mindent rendben találtunk, úgy hozzákezdhetünk a héjak adhezív módszerrel történő rögzítéséhez szükséges előkészületek elvégzéséhez. Első lépésként a héjak elhorgonyzásul szolgáló fogak abszolút izolálását követően, meggyőződünk a ragasztási felület leszáríthatóságáról. Ezt követően az adhezív rögzítés során felhasznált fogfelszínt – az alkalmazni kívánt adhezív rendszer gyártói utasításai-
5. ábra: A csonkokra helyezett platinafólia.
6. ábra: A fóliát az első kerámiaégetés során stabilizájuk.
7. ábra: A dentinmassza felhelyezése.
8. ábra: A dentinmassza égetését követően látható állapot.
9. ábra: A korrekciós massza égetését követően látható állapot.
10. ábra: Az elkészült héjak.














nak megfelelően – előkészítjük (orthofoszforsavval történő savazás, lemosás, szárítás és bond réteggel történő fedés). Ezzel egyidejűleg a ragasztásra kerülő héjak is előkészítésre kerülnek (hidrofolysavval történő savazás, lemosás, szárítás, szilanizálás, bond réteggel történő fedés, és végül az alkalmazni kívánt ragasztóanyag felvitele). Ezután a héjakat a fogak felszínén egyesével pozicionáljuk, majd néhány másodpercen keresztül polimerizációs lámpa segítségével megvilágítjuk. Ezt követően a kifolyó ragasztófelesleget eltávolítjuk, majd elvégezzük a restaurátumok végső polimerizálását. A héjak végleges rögzítését követően az esetlegesen visszamaradt ragasztómaradványok eltávolításra kerülnek, valamint ellenőrizzük az okklúzió és artikuláció közben létrejövő fogérintkezéseket. Az optimális esztétikai eredmény biztosítása érdekében kiemelt jelentősége van a papillák helyreállításának (rózsaszín esztétika). A modern fogorvoslás egyik kiemelt célja a fehér- és rózsaszín esztétika közti harmonikus egyensúly megteremtése. A papillák színe, nagysága és szimmetrikus megjelenése meghatározó szerepet tölt be a rózsaszín esztétika kialakításában. Az íny lefutása ugyancsak rendkívül jelentős mértékben befolyásolja a páciens fogazatának esztétikus megjelenését.
Összefoglalás
Manapság egyre gyakrabban találkozhatunk olyan páciensekkel, akik már a kezelések megkezdése előtt informálódnak a számukra elérhető kezelésekről, és ennek megfelelően jól definiált igényekkel érkeznek a rendelőnkbe. A páciensekkel történő megbeszélések során nagyon fontos, hogy részletesen felvilágosítsuk őket az általuk preferált kezelések előnyeiről és esetleges hátrányairól, valamint szintén



13. a–c. ábra: A kezelés befejezését követően készített intraorális felvételek.
előnyös, ha egyéb terápiás alternatívákat is tudunk kínálni számukra.
A cikkünkben bemutatásra kerülő eset ellátása során preparációt nem igénylő héjak készítése mellett döntöttünk. A héjak készre vitele során a platinafólia technikát alkalmaztuk. Annak ellenére, hogy az elkészítésre kerülő héjak rendkívül vékonyak, és ezáltal a végleges rögzítésük előtt jelentős törésveszéllyel állunk szemben, összességében mégis olyan minimál invazív kezelési eljárásnak számítanak, amely segítségével kifogástalan esztétikai eredményeket lehet elérni. A fent leírtak alapján bátran javasoljuk e módszer alkalmazását.
Forrás: Cosmetic dentistry 2021;4 12-15
11. ábra: A héjak szájüregen belüli próbája.
12. ábra: A wax-up-ról készült felvétel.
Legyen Ön is a VIP Dental
CBCT és Röntgen Központ partnere!
Szeretne folyamatos, kiszámítható és tervezhető, passzív bevételre szert tenni?

Mit nyújtunk?
Közel 20 éves szakmai tapasztalatot a fogászat, mind a fül-orr-gégészet területén.
Legmodernebb, digitális rendszerű csúcstechnológiás gépekkel a legmagasabb minőségű tűéles felvételeket.
Páciensközpontú szemléletünknek köszönhetően gyors és precíz ügyintézést, az ország 4 frekventált helyén lévő centrumainkban. (4,8 google értékelés több, mint 1000 páciens visszajelzése alapján)
Negyedéves legális pénz visszafizetést a páciens forgalom után, vagy bónuszpontokat, amit beválthat bármilyen fogászati eszközre amire csak szüksége van!
Folyamatos CBCT képzéseket!
Orvoslátogatóink bármikor felkeresik Önt, amennyiben gondjuk lenne.
4,8-as átlag
Mit jelent ez nekünk?
Örömünkre szolgál, hogy folyamatosan Önnel együtt fejlődhetünk és kamatoztathatjuk szakmai tudásunkat.
Amennyiben felkeltettük érdeklődésüket, és szeretnének partnerünkké válni, vagy már partnerünk, de nincs még szerződése, kérem keressen engem bizalommal az alábbi elérhetőségemen: iroda@vipdental.hu
Tisztelettel
Vékony Tibor ügyvezető
Dr. Csillag Mária
GONDOLATOK AZ OKKLÚZIÓRÓL A SMYLIST MÓDSZER FÉNYÉBEN
Kiegyensúlyozott és forszírozott fogérintkezés és annak hatása
A komplex esztétikai munkák készítésekor óhatatlanul funkcionális megoldásra is váró esetekkel találkozunk, amelyek nagy többségében temporomandibuláris ízületi fájdalmakkal járnak, és diszfunkciókkal járó kórképeket is kezelnünk kell. A fogak érintkezésének kialakításakor így nem elegendő az esztétikai irányelveket alkalmaznunk, hanem egy komplex szemléletrendszerre, ezen belül az okklúzióról tanult ismereteinkre is szükségünk van.
Minden rendszer, probléma akkor lesz átlátható és megfejthető, ha több szemszögből is vizsgáljuk (1. kép). A képen ugyanaz a formarendszer látható más-más perspektívából szemlélve: egy kör, melynek középpontján egy egyenes halad át. Az egyik oldalról keresztként látható, a másik oldalról egy kör, közepében pont figyelhető meg. A helyes fogérintkezések kialakításakor is célszerű több szempont szerint megvizsgálni a helyzetet, és igénybe venni a megoldásokhoz különböző diagnosztikai, illetve megvalósítási módszert is. Így segítségünkre lehet az egyedi középvonal-rendszerek is-

merete, az arcredő diagnosztika, az izomdiagnosztika (Smylist besorolás), a TMI-ről alkotott tudásunk, a CT/MRI vizsgálatok, az egyedi artikulátorok és a miotómok alkalmazása, esetlegesen arcívek használata, továbbá a digitális tervezés is (2. kép). A Smylist Módszer például összetett szemlélettel közelíti meg az okklúzió kérdését. A maxilla fogainak állását, elhelyezkedését az arckoponyából számolva tervezi meg, a mandibula fogainak érintkezését pedig az izomdeprogramálással meghatározva hozzárendeli a már kialakított maxilláris fogakhoz. Az okklúziót egyetlen helyes pozícióban tudja elképzelni, ahol minden izom feszülésmentes. Minden egyes paraméternek, dőlésnek jelentősége van mind az esztétikai, mind pedig a funkcionális téren. A láthatóan nem esztétikus megjelenés biztosan rejt magában funkcionális problémát is. Például egy kijjebb álló szemfog esztétikailag sem ad megfelelő látványt, de laterális stop és szemfogvezetés hiánya miatt funkcionális gondot is fog okozni. A rövidre tervezett
frontfogak esztétikailag is kellemetlen megjelenést biztosítanak, ugyanakkor mivel a frontfog stop nem elégséges, így az állkapocs előrecsúszását eredményezi, majd a fogak a nagymetszőkön támaszkodva további funkcionális problémát is okoznak. A fogérintkezés problémái az izomzatban is jelentkeznek, a kompenzációk szinte azonnal láthatók az arcon, később a test izmain, a testtartáson is. Különböző fogérintkezési problémák izomkompenzációs mintázata teljesen típusos megjelenésű, leolvasható a testtartásból, sőt az arcról is.
Ahhoz, hogy esztétikai munkánk jelentőségét, az okklúzió kialakításának felelősségét fel tudjuk mérni, mindenképpen a fogak és a fogakat körülvevő csontozat felépítéséig kell visszamennünk. Mindenekelőtt azt kell látnunk, hogy minden szervünk, minden egyes testrészünk valójában egy élő test részegységeként fogható fel, amelyben különböző sejtek dinamikus tevékenysége figyelhető meg, a sejtek életciklusuktól függően állandóan változó közeget adva, életteret biztosítva, milliónyi funkciót ellátva, valójában egy önálló struktúrát alkotnak. Nincs ez másképpen a fogak és a maxilla, valamint a mandibula egységének szemlélésekor sem. A csontozatot felnagyítva folyamatosan változó közeget figyelhetünk meg az oszteoklasztok, oszteoblasztok, oszteociták meg nem szűnő működése kapcsán is. Kollagéntermelés, ásványi anyagszállítás, csontlebontás egyidejű jelenléte tapasztalható. Ha ezeket a folyamatokat, a sejtek működését, nyüzsgő világukat kisfilmként néznénk, bizonyosan elgondolkoznánk azon, hogy ebbe az élő, folyamatosan változó struktúrába, nyüzsgő világba hogyan és milyen módon szólhatunk bele a fogak érintkezésének megváltoztatásakor, illetve hogyan tudjuk ezt a kialakult harmonikus egységet és funkciót megőrizni. Ebbe a dinamikusan változó közegbe kapcsolódnak bele fogaink egy speciális ízületi rendszerrel, az ún. gomphosissal (3. kép). Minden egyes fogat, fogfelszínt is érintő változás erre az ízületi egységre hat. Az „ízületre” ható erők kompenzálását a gyökérfelszínen tapadó, periapikális térben található szalagok (periapikális ligamentumok) végzik, azaz nem csak a fogat rögzítik ebben a térben. Valójában, amikor a fogak érintkezését, a statikus és a dinamikus
1. kép: Ugyanaz a forma különböző nézőpontokból vizsgálva.

okklúziót alakítjuk ki, illetve a helyes artikulációt biztosítjuk, akkor nem teszünk mást, mint egy többízületes egység kialakítását végezzük egy folyamatosan változó közegben (4. kép). Vagyis 2x átlagban 24 (gyökerek számától függ) gomphosis ízület helyes működését próbáljuk biztosítani statikus és változó közegben a kialakításra váró komplex beavatkozásokkal a fogak érintkezéseinek kialakítása során. Ha ebbe belegondolunk, akkor talán teljesen másképp látjuk a fogak érintkezését, az okklúzió kérdését és problematikáját is. Az élő szövet válaszreakciókat ad. Ahogy a periapikális terület nyomást érzékel, változások indukálódnak a csontban is. A tengelyirányú erők a fogak túlterhelődéséhez vezetnek, a fogak a parodontális résbe nyomódva az ott futó idegeket, ereket összenyomva, a gyökérhártyát terhelve, akár a fogak elhalásához is vezethetnek. A fogakat oldalirányból

erők azonban a fogak egyik oldalán az oszteoklasztok, másik oldalán az oszteoblasztok működése révén csontbontást és csontépülést eredményeznek. Ezt a sejtaktivitást használja ki valójában a fogszabályozás a különböző készülékek alkalmazása során előidézett fogmozgatások kapcsán. A kérdés csupán az, hogy vajon ezek a fogmozgások megfigyelhetők-e máskor is. A válasz igen egyszerű, és logikai úton megtalálható. Abban az esetben, ha a fogakat aszimmetrikus erők érik, megindul a fogvándorlás. Ilyen lehet az állkapcsot tartó izomzat aszimmetrikus működése következtében történő izomegyensúly megbomlása, amelynek következtében a fogakat érő erők aszimmetrikussá válnak. Az állkapocs fogai egyik oldalon jobban fogják nyomni a maxilla fogait. Ez az aszimmetria eredményezi azt, hogy egyes fogakat, fogcsoportokat oldalirányú, kiegyenlítetlen erők

érő
3. kép: Gomphosis.
4. kép: A fogak érintkezése egy többizületes okklúziós egységként is felfogható.
2. kép: A helyes okklúzió
is érhetik. A sejtaktivitás nyomás-húzás hatására történő megváltozása miatt egyik oldalán csontlebomlás, másik oldalán csontépülés lesz megfigyelhető. Ennek következtében a fog, fogcsoportok elmozdulnak, egymással való érintkezésük, okklúziójuk minden időpillanatban más és más lesz. Ez az elmozdulás elsődlegesen a maxilla fogain figyelhető meg. A fogak vesztibuláris irányba tolódnak és idővel intrudálódnak is, amelynek következtében az állkapocs – fenntartva a maxilla fogaihoz történő kapcsolódás lehetőségét – rotálódik és el is billen. Ezt a folyamatot a mandibula fogainak folyamatos elmozdulása kíséri, végül egy teljes alsó-felső fogazatra jellemző fogmigrációs-mintázat figyelhető meg a szájban, az állkapocs íveken. Tehát egy bal szemfog ektópia vagy helytelenül kialakított korona, héj képes egy teljes balra rotációs folyamatot előidézni, ami idővel balra billenéssel is kombinálódik, és a folyamat az ízületi vápának a remodellálódásához is vezethet. A páciens fogainak okklúzióját vizsgálva tökéletesnek tűnő fogsorérintkezést kapunk az éves vizsgálatokon, amelyhez később társulnak csak a TMI fájdalmak, a gnathológiai problémák, miközben a fogak lassú mozgása miatt az okklúzió egy lassú dinamikájú folyamatot tükröz. Az izom aszimmetrikus működésének hatására létrejövő fogelmozdulást a Smylist Módszertanban „önfogszabályozás”-nak, „selfortho phenomenon”-nak nevezzük. Ebből a jelenségből logikusan következik, ha szeretnénk egy stabil okklúziót, fogérintkezést kialakítani, akkor a fogak érintkezését csakis az izmok kétoldali szimmetriája esetén lehet biztosítani, amiben a fogakat nem éri olyan erő, ami miatt elmozdulnának. Ez egy teljesen ideális eset, amelyben az összes rágóizom, mimikai izom, a nyelv és az állkapocs alatti izom is feszülésmentesen működik, sem spazmust, sem megnyúlást nem mutat. Ahogy már említésre került, a helytelen okklúziós viszonyok a rágóizomzatra és a mimikai izomzatra is hatnak.
Sajnos a megoldásra váró komplex eseteink többségében azonban aszimmetrikus izomműködéssel állunk szemben, amelyben egy dinamikusan változó fogérintkezést figyelhetünk meg egy-egy időpillanatban. Így az adott okklúzió a legtöbb esetben illúzió, hiszen folyamatosan változik, azonban a fogmigrációs folyamat lassú dinamikája miatt ez a változás csak évek alatt érzékelhető (5. kép). Így szigorúan véve, minden fogazatot érintő beavatkozás – amennyiben nincsen megfelelő izomszimmetria – csupán egy instabil rendszerben való építkezési kísérlet, amelynek eredménye logikai alapon is a 24 gomphózis ízületi komplexum adott elemeinek – egy-

egy fog vagy gyökér körüli terület, vagyis ízület – biztos túlterhelése lesz. (Ennek mintázata egyébként az izomműködés aszimmetriájából, az állkapocs rotációjából adódóan teljesen típusos a Smylist besorolás szerint). A fogorvos feladata tehát minden egyes komplex és nem komplex beavatkozás esetén az lenne, hogy ezt az adott izomszimmetriát a megfelelő okklúzális viszonyok kialakításának biztosítása érdekében megteremtse, illetve megtartsa. A Smylist rendszerben az állkapocs nyugalmi helyzetében létrejövő fogérintkezést, okklúziót BOP-nek (Balanced Occlusal Position) nevezzük. Minden más izomspazmussal járó állkapocs helyzetben létrejövő fogérintkezést FOP (Forced Occlusal Position), azaz forszírozott, erőltetett állkapocs pozíciónak hívjuk. Ennek az izomaszimmetriának a jelei rögtön mutatkoznak nem csak a rágóizomzatban, hanem a mimikai izomzatban is, izomelváltozásokat okozva az arcon. Ezek az izomeltérések jellemzőek lehetnek egy-egy izomcsoportra, illetve az arc egészére is típusos képet adnak: masseterhipertófia, mentális izom megnagyobbodása, zygomatikusz izom aszimmetrikus ellapulása (6. a-b-c kép) Minden BOP-ben, azaz harmonikus, izomszimmetriában kialakított fogérintkezésben készülő komplex esztétikai beavatkozás, fogszabályozási terápia, implantprotetikai megoldás stabil, problémamentes eredményt ad, hiszen aszimmetrikus erők nem fognak fellépni a pótlások átadása után. Azonban, ha a munkák FOP-ben készülnek, akkor számítani kell a héjak, koronák lepattanására, az implantációs pótlások esetleges kimozdulására, a parodontális esztétikai műtétek siker-rátájának csökkenésére, a fogszabályzó kezelések eredményének kollapszusára. Ezekben a helyzetekben a fogakat jelentős aszimmetrikus izomerő éri. Ahhoz, hogy ez ne történjen meg, az izmokat deprogramálni kell, amelyre többféle módszer is létezik. Az izomdeprogrammálást követően egy olyan állkapocshelyzet jön létre, amely viszonyításként megmutatja, hogy a fogaknak hol kellene érintkezniük (6. kép). Ebben a relációban szükséges kialakítani a helyes fogérintkezéseket, a frontfogak, szemfogak közötti stopokat, a Spee- és a Wilson görbéket, a hármas egységeket, továbbá a fogak ötpontos érintkezéseit (7. a-b kép). Fontos ezen kívül a megfelelő overbite és overjet kialakítása, a fogexpozíció mértéke, és a fogak, ajkak viszonyának helyes kialakítása is.
A fogak érintkezésének, az okklúziós viszonyoknak ismerete elengedhetetlen a helyes pótlás kialakításához. Ha ismerjük az okklúziós problémákat, a következményes izomváltozásokat, az ahhoz tartozó arcesztétikai problémákat, akkor könnyen diagnosztizálhatjuk az arcból is a gnathológiai el-


5. a kép: Mentális izom megnagyobbodás.
5. b kép: Ellaposodott zygomatikus izom mindkét oldalon.
5. c kép: Tipikus arcizommintázat állkapocsrotáció esetén

6. kép: Deprogrammált állkapocs esetén látható fogsorzáródás és a fogívek relációja.

7. b kép: Fogérintkezések.

9. kép: Helyes okklúzió hatása a testtartásra.

7. a kép: Fogérintkezések.

8. kép: Arcaszimmetria kezelése az okklúzió rendezésével, stabilizátor terápiával.

10. a: Balra rotálódott állkapocs tipikus tünete a fogak állására nézve.
változást. Az izmok és redők változásaiból az állkapocs helyzetére vonatkozó információkat kaphatunk (jobbra, balra rotált, billent, felfelé rotált). Ezen információk birtokában a terápiát helyesen tudjuk megválasztani, és képesek leszünk arcfiatalító hatást is előidézni, valamint arcaszimmetriai problémákat megoldani (8. kép)
A FOP-ben, spazmusban vagy nyújtásban lévő izomtartás mellett kialakított fogművek esetén (vagy saját fogazatnál) a rotációt megfigyelve nagyon sokféle melléktünetre számíthatunk. Fogakat, állcsontot érintő tünetek:
• Fájdalmak, sajgás a túlterhelés, hiper-szenzibilitás aszimmetrikus izomműködés, traumás harapás miatt;
• Fogmigráció (self ortho phenomenon) a fogakat érő aszimmetrikus izomműködés miatt. Az egész rágóapparátust nézve teljesen típusos megjelenési formája van. Balra

10. b kép: Balra rotálódott állkapocs.
rotáció esetén például a bal oldali maxilla fogazat kifelé dől és intrudálódik, a jobb oldali maxilla fogazat befelé dől és elongeálódik (10. a-b kép);
• Nyaki kopások a fogat érő erő ellentétes oldalán, ahol a zománc az oldalirányú erők hatására összetöredezik. A kopások adott mintázat szerint jelennek meg a fogíven. Például felfelé rotáció esetén a metszőfogak vesztibuláris oldalán (11. kép);
• Típusos fogkopások a frontfogakon, szemfogakon, moláris területen;
• A fogak inklinációjának, protrúziójának megváltozása (12. kép) . Például felfelé rotálódó állkapocs esetén a nagymetszők protrúziója egy idő után kifejezetté válik;
• A nyomásnak kitett oldalon exostotikus képletek jelennek meg az állcsonton (13. kép)

11. kép: Fogak rotációnak megfelelő kezdődő nyaki kopásai és íny recessziója.

13. kép: Exosztotikus képletek a 13 fog felett jobbra rotált állkapocs esetén.

12. kép: Protrudált nagymetszők.

14. kép: Lelapult középarc, inaktív zygomatikus izom.


15. kép: Lelapult zygomatikus izom, hipertrofizált mentális felfeé rotálódott állkapocs esetén.
16. kép: Redőzet az arcon jobbra rotált és jobbra billent állkapocs esetén.
Az arcra gyakorolt hatás:
• Megváltozik az arc izomszerkezete: a FOP-ben az izmok spazmusba kerülnek. Nem csak a rágóizomzat, hanem típusos mintázatot adva, a mimikai izomzat is. Egy jobbra rotáció esetén a bal oldali masseter izom hipertrófiája figyelhető meg, ugyanakkor a bal oldali zygomatikus izom ellaposodása. Ez a mandibula csavarodásával járó bőrre, izomzatra ható húzó erők miatt jelentkezik. A felfelé rotáció tünete, mindkét oldali zygomatikus izom inaktivitása, a mentális izom hipertrófiája (14.,15. kép);
15. 16.








PRÉMIUM







BEFEKTETÉS 20+ ÉVRE PRÉMIUM GARANCIÁVAL!
Legalacsonyabb üzemeltetési költség (1,97%) Leghosszabb garancia (10 év) Stabil, folyamatos, megbízható működés - digitális vagy más fejlesztések stabil háttere











A-dec/NSK elektromos, nyomaték szabályozott LED-es, ENDO funkciós mikromotor, rpm 100-40000




























Ebben az A-dec páratlan!
10 év garancia
Varrott kárpit
Varrás nélküli kárpit
Érintés nélkül is működik

17. kép: Jobbra billent állkapocs arckontúraszimmetriája.
• Megváltozik az arc redőszerkezete. A szem alatti ráncok kifejezettek lesznek, sokszor az ívelt formából háromszög alakúra váltanak a bőr lehúzása miatt. Az állkapocs rotációt mindig kíséri egy aszimmetrikus redőzet. A nasolabiális redő a rotációs oldalon a horizontálishoz közelít, úgy, mint a Marionett redő is. Ez egy jól felismerhető jele az instabil okklúziónak és a rotációnak (16. kép);
• Amikor az okklúziós billenése is bekövetkezik a hosszú távú aszimmetrikus erők miatt, akkor ez az arcon az arckontúr változásával is jár. Leginkább az állkapocs-pozíció-aszimmetriája figyelhető meg, valamint megváltozik az arckontúr: a billenés oldalán rövidebb és egyenesebb lesz (17. kép).
A fej-nyak régióra gyakorolt hatás:
• A fej a rotációs oldal irányába billen. A balra rotált és billent állkapocs a fogak érintkezése miatt az idővel létrejövő jobboldali elongációt igyekszik kompenzálni egy balra billent fejtartással. A bal oldalon izomkonstrikciót is eredményez az állkapocs alatti és a nyaki régióban lévő izomzatban is, a billenés oldalán. (Ezért érdemes a fotózás során a NHP (Natural Head Position) fotóprotokoll szerint készíteni az arcképeket.). A rotációval ellentétes oldal irányába megfigyelhető a fejfordítás korlátozottsága, amelyet az izmok aszimmetrikus spazmusa és a nyakcsigolyák egymáson való rotációja okoz;
• A protrudált nagymetszők a fogérintkezést előretolt állapotban teszik lehetővé. Ez a mandibula előre, később felfelé irányuló rotációját vonja maga után, amit a fej előretolása követ az izomaktivitások miatt (18. kép). A fej előretolását a fej leszegése, majd a 6-7. nyakcsigolyák egymáson való elcsúszása követ.
Pótlásra, fogászati beavatkozásra gyakorolt hatás:
• A héjak leeshetnek az aszimmetrikusan működő erők miatt;
• A koronákról lepattanhat a kerámia;
• A cirkon munkák eltörhetnek a fellépő nyíró erők miatt;
• A parodoncium megterhelődik, tasakok alakulhatnak ki, fogak mozdulhatnak ki;
• A migráció, a selfortho mozgás megindul;
• Az implantátum kimozdulhat;
• A parodontális műtétek sikerrátája csökken;
• Ínyrecesszió jelenik meg;
• Instabil orthodonciai eredményt kapunk.
Általános tünetek:
• Megindul a selfortho mozgás;
• Gnathológiai problémák lépnek fel;
• Fejfájás, izomspazmus tapasztalható az aszimmetrikus izomspazmusok miatt;
• Gyomorsavasodás;
• Kettős látás;
• Fülzúgás, -csöngés;
• Levegő kapacitási elégtelenség.
A forszírozott, kényszerített állkapocs pozíció test-szerte izomspazmust okoz. A FOP-ban kialakított fogászati munka a beragasztás után is problémát okoz a lepattanások miatt, a kényelmetlensége miatt, továbbá az izmokban lévő feszültség és a kényszertartás miatt. A kiegyensúlyozatlan harapás tünetei nemcsak a rágóizomzatban, az arcon, a nyak- és vállizmoknál figyelhetőek meg, hanem végigkövethetőek egészen a talpig. Ez az ún. negatív kaszkád effekt, amely a helytelen fogérintkezés és a forszírozott, kényszerített okklúzió miatt alakul ki a testben. Az aszimmetrikus izomerők átadódnak a nyak, a vállöv, a törzs, a végtagok izmainak, és ez által átrendezik a testtartás, aszimmetrikusan terhelik az ízületeket.
Kiegyensúlyozott harapásról, okklúzióról a Smylist Módszer értelmében mindenképpen csak akkor beszélhetünk, ha izomegyensúly van. Az izomegyensúly kialakítása stabilizátorokkal és deprogramálással lehetséges, addig semmilyen bemérés, támasztócsapos regisztrátum alkalmazása a végleges pótláshoz nem javasolt, mert a helyreállítás során az egyedi, évek óta fennálló, aszimmetrikus izomműködést mérjük be és konzerváljuk a továbbiakban.
A kétoldali izomszimmetria által biztosított (deprogramált, sín-, stabilizátor terápián átesett páciens esetén) állkapocs-pozícióban javasolt az alsó-felső fogívek relációjának megtartása, majd ebben a pozícióban a fogak felállítása, kialakítása. Ezzel a látásmóddal a fogérintkezést a test izomhálózatában harmonikusan elhelyezkedő állkapocs kényelmi pozíciójában lehet kivitelezni. Ez biztosítja a későbbiekben a fogak stabil elhelyezkedését, és a selfortho mozgások elkerülését. Komplex szemlélettel megérthető, hogy az állkapocs a test izomhálójában, egy élő és érzékenyen reagáló szervezetben elhelyezkedő szervrendszer, amelyben a fogak foglalnak helyet. A fogak funkcionális kialakítását ennek tudatában ajánlott elvégezni.

18. kép: Előretolt fejállás.

Dr. Döbrentey Zsolt
TERMÉSZETHŰ DIREKT POSTERIOR RESTAURÁCIÓ
Funkció és esztétika a posterior zónában
Absztrakt
A korábban rutinszerűen használt amalgámtömések mára a legtöbb páciens számára esztétikailag nem elfogadhatóak, hanem fogszínű, természethű restaurációt várnak el. Kaméleon effektussal bíró kompozitokat használva, akár szakavatott szem számára is láthatatlan módon, funkcionálisan és esztétikailag is helyreállítható a fog. Az adhezív technika fejlődésének és az alacsony zsugorodási stresszel bíró kompozitoknak köszönhetően a kiterjedtebb II. osztályú üregek direkt módon is felépíthetőek. Megfelelő protokollokat követve lépésről lépésre kiszámíthatóan elérhető a kívánt végeredmény.
Esetbemutatás
Az 53 éves hölgy páciens jobb felső 6-os fogában látható amalgámtömés cseréje volt a cél. A tömés mellett secunder caries és az amalgám következtében létrejött mesialis zárólécen áthaladó repedés, továbbá mesialis caries figyelhető meg (1. ábra). El kellett kerülni, hogy a tömés kifúrásakor az amalgámtörmelék a páciens szájába kerüljön, esetleg ebből valamennyit lenyeljen, a kezelés első lépésként kofferdám izoláció került fel a jobb felső kvadránsba (2. ábra). A kapocs a 1.7 fogra került, ezzel kényelmesen helyet teremtett a későbbiekben felkerülő matricarendszernek. Az egyszerre több fog izolálása lehetővé teszi, hogy a szomszédos fogak referenciául szolgáljanak a restauráció felépítése közben.
A régi amalgámtömés eltávolítását követően caries indikátor segítette a carieses laesio megfelelő kitisztítását a pulpa expozíciója nélkül. Ezután kerülhetett sor az ideális üregdesign kialakítására, továbbá a zománcszélek finírozására (3. ábra) Az approximális box megnyitása során az alátámasztatlan zománcprizmák eltávolításra kerültek, ezzel is csökkentve a secunder caries képződés veszélyét. Az így kialakuló forma elősegíti a matrica megfelelő adaptációját, végül pedig az approximális box határainak a hozzáférhetőségét, így finírozás során ez jobban kontrollálható és polírozható.
A Palodent V3 matricarendszer felhelyezését követően a zománc 10 másodperces szelektív savazása, majd lemosása és leszárítása után történt a kavítás bondozása Prime & Bond Universallal.
Kulcslépés: a II. osztályú üreget a matricarendszer segítségével I. osztályúvá lehetett átalakítani.



A pontosabb széli záródás érdekében célszerű a matrica illesztési határába némi folyékony kompozitot felvinni (NeoSpectra ST flow A2), majd megvilágítás nélkül a zárólécet paszta kompozittal (NeoSpectra STHV A2) felépíteni, miközben a kifolyó fölösleges folyékony kompozit eltávolításra kerülhet. Így ki lehetett használni és kombinálni a két különböző konzisztencia előnyeit.
A polimerizációt követően kerülhet sor a matricafeszítő gyűrű, valamint a matrica eltávolítására. A Palodent V3 fülekkel ellátott matrica kialakításának és a speciális PinTweezers csipesznek hála, a feszes kontaktpont ellenére a matrica könnyedén eltávolítható. Az éket viszont a kezelés végéig





célszerű bennhagyni, elkerülve egy esetleges nemkívánatos vérzést (4. ábra)
A matrica és gyűrű nélkül az approximális fal magassága, valamint a szomszédos fogakhoz viszonyítható dimenziók jobban megállapíthatóak. A jobb térlátás és a nagyobb mozgástér precízebb eredményhez vezet, csökkentve ezzel az utólagos finírozás mértékét, továbbá a részletgazdagon kialakított anatómiai struktúrák torzulásának az esélyét. Az üreg mélyebb részei SDR Plus A3-mal kerültek feltöltésre, majd NeoSpectra STLV A3-mal kiegészítve vált teljessé a dentin pótlása (5. ábra), ezzel létre lehetett hozni egy homorú formájú kromatikusabb alapot.
Ezt követően csücsökről csücsökre haladva a felső hatosokra jellemző anatómiai struktúrák, megfelelő orientációval bíró csücsöklejtők és elsődleges barázdák Neo Spectra HV A2 anyagból kerültek kialakításra (6. ábra). Apró „kompozit-hurkákkal” kiegészítve létrehozható a csücskökön belüli tagoltság, ezzel kialakítva a másodlagos barázdarendszert és egy sokkal kidolgozottabb anatómiai struktúrát (7. ábra). A fogorvos esetleges „művészi hajlamát” is figyelembe véve, a természethű megjelenés barázdafestéssel (Micerium - Stain Brown 2) még tökéletesebb lehet (8. ábra). Ezzel a korábban részletgazdagon kialakított ba-


rázdarendszer kiemelhető, és optikailag fokozható a gödröcskék mélysége is.
A restauráció megfelelő polimerizációja után célszerű a kofferdám nyújtotta retrakciót kihasználni, és a restauráció széli záródásában levő esetleges kompozitfölösleg elfinírozását jobb rálátás mellett elvégezni (9. ábra). Ebben nagy segítségünkre lehet az Enhance rendszer, mely a kompozitot nagyon szépen elsimítja, de a természetes fogszövetet nem bántja.




A matricázott terület széli záródásának a kidolgozásában az EVA polírozó (10. ábra) lehet a segítségünkre, amellyel a gingiva sérülése megelőzhető, és a kialakított feszes kontaktpont sem kerül redukcióra (11-12. ábra)
A kofferdam eltávolítását követően kerülhetett sor az occlusio beállítására csücsöklejtők domborúságának a redukciója révén (13. ábra). A harapás gyémántfúrókkal történő beállítása után a polírozás Enhance rendszerrel történt, melynek végső lépéseként a PrismaGloss használatával (14. ábra) nyerhette el a restauráció a végső fényességét (15. ábra)
Konklúzió
A ma rendelkezésre álló modern eszközöknek és anyagoknak hála II. osztályú üregek direkt módon kiszámíthatóan restaurálhatóak. A matricarendszernek köszönhetően helyreállítható a feszes kontaktpont, a „kaméleon effektussal” bíró kompozit pedig a tömés integrációjáért felel. A megfelelő adhézió, a precízen kidolgozott széli záródás és a plakkréteg megtapadását nehezítő polírozott felszín a kezelés hosszú távú sikerének a garanciája. Mindezek együtt egy hosszú távon tartós, funkcionális és esztétikai rehabilitálást tesznek lehetővé.


MEGÚJULT
SZOLGÁLTATÁSOK
HASZNÁLT TERMÉKEK
CÉGEK
ÁLLÁSOK
FOGORVOSOK
WEBINÁRIUMOK
SZAKMAI CIKKEK
PODCASTOK
RENDELŐK
KURZUSOK




Dent-East Kft. 1112 Budapest, Rétkerülő út 51 www.dent-east.com • mail@dent-east.com





A-dec 500 a PRÉMIUM






PRIMA AUTOKLÁV Új olasz fejlesztés megbízhatóság, egyszeru ” kezelés, letisztult dizájn

1077 Bp., Rózsa utca 29. www.modent.hu, info@modent.hu





BUILD YOUR DREAM LOUPE

1135 Budapest, Frangepán u. 66/B. +36 1 236 4000 | info@newyorkdental.hu www.newyorkdental.hu
hogy ne ragadjon a műszere a kompozithoz!

Dr. Volom Dental 1067 Budapest Podmaniczky u. 39. Tel.: +36 1 311 65 84 www.drvolomdental.hu








opron, Faller Jenő u .:+36 99/508-698 ax: +36 99/508-696 .hu








Fogászati kereskedelem
• AMPRI: színes e.h. eszközök;
• Anger: matricák, ideiglenes koronák, fényvezető ék;
• ASA: műszerek, egyszer használatos eszközök;
• BISCO: cementek, bondok, kerámiajavító;
• FKG: endodonciai eszközök;
• DTS: színes műanyag lenyomatkanalak;
• NEOLIX: gépi gyökérkezelő tűk;
• OLIDENT: tömőanyagok, sav, bond;
• ORO CLEAN: fertőtlenítőszerek;
• PROMEDICA: cementek, tömőanyagok, alábélelők;
• SCORPION: scaler végződések, implant tisztításhoz is;
• SHOFU: cementek, tömőanyagok, csiszolók;
• SS White: koronafelvágó, karbid- és gyémántfúrók;
• TIDI: védőmaszkok;
• WHITEWASH: fogkrém, fogkefe;
• ZHERMACK: A- és C-szilikon, alginát lenyomatanyagok.
Közvetlenül az importőrtől:
HERBODENT Kft.
✉ 1025 Bp., Szépvölgyi út 52. % 325-7129 %/fax 325-7220, mobil: 30/203-6957, 30/241-5737 e-mail: herbodent@herbodent.hu, www.herbodent.hu

Loupes and lights