Dental World • Budapest • 2025. október 16–17–18.

17 16 18
![]()
Dental World • Budapest • 2025. október 16–17–18.

17 16 18
Kiváló és igazán remek érzés, hogy negyedszázad év eltelte után ma is újra megírhattam a today kiadvány és egyben a Dental World rendezvény ünnepi számának a köszöntőjét.
Igen, idén már 25. alkalommal van módom és lehetőségem, hogy köszöntsem a Dental World eseményei iránt érdeklődő résztvevőket. Sok-sok évvel ezelőtt, amikor megszületett e rendezvény megszervezésének a gondolata, még nem is mertem remélni, hogy majd több mint két és fél évtized elteltével már nem csak a hazai, hanem számos más, külföldi ország fogászati szakembereinek, előadóinak, cégeinek az érdeklődésére és jelenlétére is számíthatunk.
Örömmel jelenthetjük ki, hogy a Dental World folyamatos fejlődésével, programjainak gazdagításával méltán vívta ki a Közép-Kelet-Európa legrangosabb fogászati ese -
ménye címet, melyet szeretnénk a következő 25 évben is megérdemelni!
A fogászat területén dolgozó legfontosabb szereplők – a fogorvosok, a fogtechnikusok, a dentálhigiénikusok, a fogászati asszisztensek, valamint a gyártók és a forgalmazók – már tudják, hogy az immár 25. alkalommal megrendezésre kerülő XXV Dental World Nemzetközi Konferencia és Szakkiállítás egy helyszínen, három nap alatt rendkívül sok lehetőséget kínál a szakmai igényeik kiegészítésére. Akik most velünk töltik a következő napokat, látni fogják, hogy a változás nem lassul, továbbra is rohamléptekben fejlődik a szakma minden területe, és az üzleti trendek is új stratégiákat követelnek. Digitális folyamatok, az MI mindennapi használata, automatizmus, erről szól most a fogászat is, és a kongresszusaink egy része ezt már naprakészen mutatja, de ezt a változást/fejlődést láthatják a kiállítók standjain is. Széles választékkal, tudásorientált tartalommal várjuk a szakma min -

den résztvevőjét, akik kiegészíteni szeretnék az ismereteiket. A kongresszusainkon elhangzó előadások – hazai és a nemzetközi szinteken is ismert és elismert előadók tolmácsolásában – upgrade tudást közvetítenek. A rendezvényen megtartott kurzusokon, versenyeken, workshopokon, Live Demo bemutatókon és az élő műtétek speciális helyszínein ismét olyan „fogásokat” sajátíthatnak el, amelyekkel sikeresebbé tehetik majd a mindennapi munkájukat. A szakmai tudás gyarapítása mellett a kiállítóink gondoskodnak arról, hogy a látogatók megismerkedjenek a világ legnagyobb gyártóinak újdonságaival, és a jól felkészült szakemberek bemutatják és be is tanítják
majd ezek használatát.
Sok kereskedelmi cég különböző vásári akciókkal is várja az érdeklődőket!
Az előadások szüneteiben és a kiállítás megtekintése során szeretettel várjuk a Buborék Bárban egy ínyenc falatra és borkóstolásra, a Flexi Kávézóban egy finom kávéra, a Smilezor Barban pedig egy különleges koktélra.
A 25. Dental World-ön szeretettel köszöntünk mindenkit, aki a fogászati szakma e nagy budapesti „arzenáljára”, találkozójára eljött, és reményeink szerint majd gyarapodott tudással, sok új ismerettel és élménnyel távozik!
Mottónk változatlanul: 3 NAP A FOGÁSZAT SZOLGÁLATÁBAN!


A világ első FOTOGRAMMETRIKUS, 5 µm pontosságú, wireless IO szkennere 9. oldal
Dental World 137-es stand

Laczkó Tamás főszervező


www.nextdental.hu















Az Alpha Implant Kft. immár 15 éve meghatározó szereplője a hazai implantológiai piacnak. A cég az Alpha-Bio Tec. implantátumrendszer kizárólagos magyarországi forgalmazója, és több világmárkát képviselve folyamatosan bővíti kínálatát. A vállalat dinamikus fejlődéséről, oktatási tevékenységéről és legújabb termékújdonságairól Erdélyi Attilával, a cég ügyvezetőjével beszélgettünk.
Milyen eredményeket könyvelhetett el az Alpha Implant Kft. a 2024-es évben?
Az elmúlt év kiemelkedően sikeres volt számunkra. Tovább erősödött piacvezető pozíciónk. Emögött nem
csupán a termékportfóliónk bővítése áll, hanem az a szakmai támogatás is, amit a partnereink felé nyújtunk – legyen szó orvoslátogatásról vagy továbbképzéseinkről.
Ezek szerint az oktatás továbbra is kiemelt szerepet tölt be a cég életében?
Abszolút. 2024-ben közel 250 fogorvos és szájsebész vett részt Alpha Implant által szervezett akkreditált kurzusokon. Nagy öröm számunkra, hogy az Alpha Implant Oktatási Központ egyre ismertebb és elismertebb lett a szakmai közösségben. Itt nemcsak az általunk forgalmazott rendszerek gyakorlati bemutatására van lehetőség, hanem korszerű implantológiai eljárásokat is elsajátíthatnak a résztvevők.
tikum nélkül. Célja, hogy a páciens elkerülje a nagyobb költséggel, illetve felépülési idővel járó műtétet.
A másik újdonság az Alpha-Bio Tec. rendszerhez kapcsolódik, ugye?
Így van. Az Alpha-Bio Tec. rendszer új Multi Unit feje, az Alpha Arch néven mutatkozott be. Az Alpha Arch tervezésénél a biomechanikai stabilitás, az egyszerű protetikai eljárás és az esztétikai elvárások egyaránt fontos szerepet kaptak. A visszacsatolások alapján a felhasználók különösen értékelik a rendszer kompatibilitását és a beavatkozások egyszerűsítését.
A portfólió folyamatosan bővül. Melyik új terméket emelné ki az elmúlt évből?
Két fontos újdonságunk is volt. Az egyik a Geistlich Pocket-X, amely a Geistlich termékcsalád újgenerációs tagja. A Geistlich Pocket-X egy termoszenzitív gél, ami segíti a parodontális betegek regenerációját, gyorsítja az ínygyógyulást és meggátolja a baktériumok újrakolonizációját, antibio-
Milyen célokat tűztek ki 2025-re?
Továbbra is a szakmai fejlődés támogatása és az innovatív termékek hazai bevezetése áll a fókuszban. A célunk, hogy még több szakemberhez juttassuk el képzéseinket és eszközeinket. Emellett a digitális fogászat irányába is szeretnénk erősíteni a jelenlétünket, különös tekintettel a 3D nyomtatásra és a CAD/CAM megoldásokra. Az Alpha Implant Kft. példája jól mutatja, hogy a siker kulcsa nemcsak a minőségi termékkínálatban rejlik, hanem a tudásmegosztásban és a partnerekkel való szoros együttműködésben is. A cég jövőképe stabil és előremutató – az implantológia fejlődésével párhuzamosan folyamatosan új lehetőségeket nyit meg a szakma számára.
FÁJDALOMMENTES VEZETÉK NÉLKÜLI a rendelo˝jébe by Septodont



Dental Tribune International GmbH Holbeinstr. 29, 04229 Leipzig, Németország, Tel: +4847 4302 Fax: +49 341 4847 4173 Általános információ: info@dental-tribune.com Értékesítés: mediasales@dental-tribune.com www.dental-tribune.com
Az újság és a benne szereplő anyagok szerzői joga a Dental Tribune International GmbH tulajdonában van. A Dental Tribune International GmbH mindent megtesz a klinikai információk és a gyártók termékújdonságainak pontos közlése érdekében, de nem tud felelősséget vállalni a termékállítások érvényességéért vagy a tipográfiai hibákért. Minden jog fenntartva. © 2025 Dental Tribune International GmbH. A Dental Tribune International GmbH előzetes írásbeli engedélye nélkül a sokszorosítás bármilyen módon, bármilyen nyelven, részben vagy egészben kifejezetten tilos.
A DENTAL WORLD napilapja Kiadja: Event Organizer Hungary Kft. 1012 Bp., Kuny Domokos u. 9. Tel.: 06-30-472-0030 info@dental.hu, dentalworld.hu Főszerkesztő: Dr. Riba Magdolna Nyelvi korrektor: Balázs Piroska Felelôs kiadó: Laczkó Tamás Nyomdai elôkészítés: Event Organizer Hungary Kft. Nyomdai kivitelezés: Copy & Consulting Kft.
Kiállítás helyszíne
Hungexpo Vásárközpont, 1101 Budapest, Albertirsai út 10. „A” pavilon
Kiállítás nyitvatartása
2025. október 16–17., csütörtök, péntek: 09.00–18.00 2025. október 18., szombat: 09.00–17.00. A háromnapos rendezvény alatt közel 200 szakkiállító várja az érdeklődőket, a kiállítás megtekintése díjmentes, de regisztrációköteles a dentalworld.hu oldalon a látogatói regisztráció oldalon.
Kongresszusi belépés 2025. október 16–17–18. reggel 8 órától. A regisztráció a szakmai prog -
Injekció újragondolva: Dentapen, az automata fecskendők új generációja a fogorvosi érzéstelenítésben
ramokra kötelező, az előre és a helyszínen váltott, e-mailben megkapott egyedi vonalkódját be- és kilépéskor kérjük, egyaránt érvényesítse! Hiányzó vonalkód esetén fáradjon az ügyfélszolgálathoz.
Teljesíti rendelője igényeit
Legyen olyan jó az utolsó injekció is mint az első önnek és a betegének is
Megfelel a beteg elvárásainak
Kevesebb fájdalom, kevesebb izgalom (biztató külső)
Megfelel a gyakorlatának
Helyszíni jegyvásárlás 2025. október 16–17–18. reggel 8 órától. A helyszíni jegyvásárlás a Hungexpo „A” pavilon bejáratánál, a pénztárnál lehetséges.
Egyszerű és kényelmes (nincs szükség képzettségre), minden tűvel kompatibilis, tartható fecskendőhöz és tollhoz hasonlóan
sítések, amelyekhez szakma szerinti pontszámként elszámolható: 1. arc-állcsont-szájsebészet, 2. dento-alveoláris sebészet, 3. fogszabályozás [fogorvos], 4. konzerváló fogászat és fogpótlástan, vizsga nincs, a kreditpont-igazolást a rendezvényt követően küldjük el. A szakmai programokban a változtatás jogát fenntartjuk.
Workshop
Kreditpont
A három nap össz pont értéke: 24, napi pont érték: 8. A tanfolyamok a szakma szerinti kategóriába tartoznak (szakképe -


A tudományos programok mellett megrendezésre kerülő workshopok és gyakorlati kurzusok termei az „A” pavilon galériáján találhatók, melyeket a helyszínen irányítótáblákkal jelölünk.






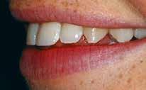
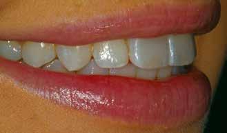
Dr. Jason Smithson bemutatja ezt a kihívást jelentő esettanulmányt egy 15 éves páciensről
Esetbemutatás
Egy 15 éves diák és leendő modell egy barát és kolléga ajánlására érkezett rendelőnkbe a felső középső metszőfogainak vizsgálatára és kezelésére. A klinikai és radiológiai elemzés, valamint a fényképek kiértékelése az alábbi problémákat mutatta ki:
1. Ellis II. osztályú törések: a dentinre és a zománcra is kiterjedtek mindkét felső középső metszőn. A jobb felső metszőfog volt a súlyosabban érintett, kb. 60%os koronaveszteséggel, míg a bal oldalon ez kb. 30% volt. A törések egy gyermekkori baleset következményeként keletkeztek, kb. 12 éves korban. A fogakat korábban kompozitgyantával állították helyre, ami elfogadható esztétikai eredményt hozott, de nem volt optimális.
2. A jobb felső középső metszőfog elhalt, jelentős periapikális radiolucenciával. Ennek ellenére a fog tünetmentes volt.
3. A jobb felső metszőfog jelentősen elszíneződött; a csökkent érték (fényesség) különösen jól látható fekete-fehér képeken.
4. A páciens rögzített fogszabályzó kezelést fejezett be kb. 12 hónappal korábban egy másik rendelőben. Bár az ívek jól rendezettek és funkcionálisan elfogadhatók voltak, némi előredőlése volt a felső frontszegmensnek.
A páciens olyan helyreállítást kért, amely a természetes fogaitól teljesen megkülönböztethetetlen, akár természetes fényben, akár fotókon. Életkorára való tekintettel ő és édesanyja is elsődleges szempontként tekintett a foganyag megtartására.
A kihívások
Bár csak két fog (a két középső metsző) kezelése történt, az eset több szempontból is összetettnek bizonyult:
1. Az elülső szegmens iatrogén előredőlése miatt a rendelkezésre álló tér nehezen kezelhető volt. Túl sok volt a mesiodistális hely, ami rontotta a fogak ideális magasság-szélesség arányát.
2. A páciens fiatal kora miatt a gingivális marginális vonal még nem stabilizálódott – valószínű apicalis irányú mozgás várható a növekedés során. Ez azt jelentette, hogy bármilyen res taurációs szél, még ha subgingiválisan került is elhelyezésre, a későbbiekben láthatóvá válhat.
3. A nagy pulpakamra miatt az endodontiai kezelés jelentős mennyiségű palatinális zománcot távolított el az elérés és a megfelelő tisztítás érdekében.
4. A fogszabályozó szakorvos kért fix és kivehető retenciós eszközt is.

Kezelési terv
Endodontiai kezelést Peter Davis, szakfogorvos (BDS MClinDent MRD RCS (Edin), Riverside Specialist Practice, Truro, Cornwall) végezte. A jobb felső metszőt ezután „belső-külső” fehérítési technikával kezeltük, hogy annak színe egyezzen a szomszédos fogakkal. Ez lehetővé tette, hogy a restauráció szélét supragingiválisan helyezzük el, a „kontaktlencse-hatás” alkalmazásával teljesen láthatatlanná téve azt.
A supragingivális, láthatatlan szél előnyei:
1. Az esetleges ínyvisszahúzódás nem rontja az esztétikai eredményt.
2. A szél jól hozzáférhető, így könnyen karbantartható.
3. Nem befolyásolja az ínyszövet egészségét.
4. A ragasztás zománcra történik, ami hosszú távon megbízhatóbb.
Mindkét metszőfog minimálisan előkészített kerámiahéjat kapott, mely esztétikai és tartóssági szempontból is optimális. A jobb felső metsző héjazása a hagyományos csapos korona helyett lehetővé tette a pulpakamrához való hozzáférés megtartását újra -


kezelés vagy újrafehérítés esetére. A palatinális zománc elegendő volt a fix ortodontiai retenció rögzítésére is.
A kezelés


Piezon (Optident) segítségével. A végső szélfinomítást KMIS 1 vésőkkel (Hartzells, Chicago) végezték. Ezután a preparációkat csiszolták és lekerekítették tárcsákkal (Cosmedent). A jobb felső középmetszőfog palatinális szélét szándékosan a frissen felhelyezett kompozit gyanta hozzáférési tömítésen fejezték be, hogy megőrizzék a fog szerkezetét. Mindkét fogat „azonnali dentin tömítéssel” látták el negyedik generációs kötőanyaggal (Optibond Fl, Kerr), és az oxigénnel gátolt réteget KY Jelly alatt végső polimerizációval eltávolították.
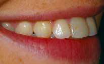
Két nap múlva a páciens vis zszatért ellenőrzésre, és a fehérítés eredménye kielégítőnek bizonyult.
A dentin kondicionálása után a hozzáférési üreget Fuji IX Extra (GC) anyaggal tömítették, majd a páciens hazamehetett. Két héttel később a páciens visszatért.
A régi kompozit gyanta-helyreállításokat eltávolították mindkét középső metszőfogról, valamint a jobb középső fog Fuji IX hozzáférési tömítésének nagy részét. A hozzáférési kamrát Empress Direct Composite (Ivoclar-Vivadent) anyaggal tömítették le, miután 3 lépéses 4. generációs kötőanyaggal (Optibond FL, Kerr) rögzítették.
A preparálás során az íny védelme érdekében Ultrapack Cord (UltraDent, Optident) anyagot helyeztek el.
A preparálás mélységét jelző barázdákat 0,2 mm mélységig vágták mindkét fog arcfelületén, és a fogakat elektromos kézidarabbal (Masseroni Kit, Komet, WestOne) gyémántfúróval preparálták a héjakhoz, a széleket pedig Masseroni hegyekkel (Komet, WestOne) finomították EMS Mini -
Az endodontikus ideiglenes kötést eltávolítottuk a jobb felső középső metszőfogról, és mikroszkópos nagyítás (Ziess OmniPico, NuView) segítségével az összes törmeléket eltávolítottuk a pulpakamrából egy lassú kézidarabbal ellátott acél rózsafejjel. A pulpakamrát EDTA-val mosták, majd 20 percig ultrahanggal aktivált nátrium-hipoklorittal öblítették, hogy a dentin tubulusokból a lehető legtöbb törmeléket eltávolítsák. A guttapercha gyökércsatorna-tömítőanyagot eltávolítottuk a csatorna nyílásából körülbelül 3 mm-rel a csúcstól (intraorálisan periodontális szondával ellenőriztük, összehasonlítva a periapikális röntgenfelvétellel), és a nyílást Fuji IX GIC (GC) anyaggal tömítettük, amelyet „nyereg” konfigurációban helyeztünk el. Készítettek egy fehérítő tálcát (Enlighten Smiles), amely elősegítette a középső metszőfog izolált fehérítését, és a hozzáférési üreget nyitva hagyták. A pácienst megtanították, hogyan kell a fehérítőt a hozzáférési üregen és a tálcán keresztül a fogra felvinni, és 10%-os Evolution fehérítőt (EnlightenSmiles) kapott. Megkérték, hogy kétóránként vigye fel a fehérítőt a fogra, és két nap múlva térjen vissza értékelésre.

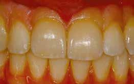
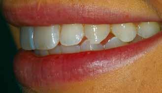
A végleges héjak bepróbálása. UR1 közepes értékű próbapasztával, UL1 -3 (alacsony értékű) próbapasztával.



Retrakciós zsinórt (Ultrapak, Ultradent) helyeztek be, és egy lépésben PVS putty/wash-sal lenyomatot vettek a felső ívesről. Aljzatról is készítettek alginát lenyomatot, valamint arcív- és okkluzális lenyomatot.
A színválasztást és a laboratóriummal való kommunikációt megkönnyítendő, a színmintákat a helyszínen lefényképezték. A legközelebb álló öntvény a BL4 volt, de alacsonyabb értékkel. Néhány metszőfog-maverick-hatás volt észlelhető (kis mennyiségű fehéres hipokalcifikáció a metszőél mentén, valamint egy kis okker). A fogakat ideiglenesen helyreállították, és a pácienst elbocsátották. Az összes laboratóriumi munkát Rob Lynock, Ivoclar-Vivadent UK végezte. Ebben az esetben EMax HT (High Translucency) restaurációt választottunk, mert nagy hajlítószilárdsággal (kb. 400 MPa), kopásállósággal és esztétikával rendelkezik. HT öntvényt tudtunk használni, mert a preparált fogak alapszíne megegyezett a szomszédos fogakéval, azaz nem kellett eltakarni az elszíneződött preparációkat (a fogfehérítés előtti állapotnak köszönhetően ez a hatalmas előnyünk volt). A héjakat viasszal borítottuk, és először HT BL1 öntvényt használtunk a préseléshez: ez a restauráció azonban

a fentihez hasonló. Fokozott kontraszt az incisalis él maverick hatásának értékeléséhez.



túl magasnak bizonyult, ezért az öntvényt HT BL2-re cseréltük, és a héjakat újra elkészítettük.
Az „illesztési vizit” során eltávolítottuk az ideiglenes héjakat, és a preparált fogakat 27 mikronos alumínium-oxid porral enyhén megcsiszoltuk. A fogakat retrakciós zsinórral, vattacsomókkal és PTFE szalaggal (Plumbers Tape, Homebase) izoláltuk, és a héjakat Variolink Veneer Try-In pasztával (Ivoclar) próbáltuk ki. Fényképeket készítettek, amelyeket az „Aper ture” (Apple Mackintosh) programmal szerkesztettek: a fekete-fehér képet a színérték értékeléséhez használták, míg a jelentősen megnövelt kontrasztú képet a metszőél felépítésének maverick hatásának értékeléséhez. A megnövelt és csökkentett színértékű cementek összehasonlítása után a tiszta cementet választották a legideálisabbnak.
A héjakat 27 mikronos alumínium-oxiddal alacsony nyomáson levegővel csiszolták, majd fluorhidrogénsavval (Ultradent) maratták. Az alkoholfürdőben történő ultrahangos tisztítás után hajszárítóval szárították meg, majd kétkomponensű szilánnal (GC Ceramic Primer, GC) szilánálták. A héjakat Optibond FL (Kerr) ragasztóval rögzítették, majd Variolink Veneer (Ivoclar) ragasztóval helyezték fel. A mikrokefével történő alapos tisztítás után a héjakat három másodperces halogénlámpás (Optilux 501, Kerr) polimerizálással rögzítették a helyükön. A felesleges cementet 12-es szikével és interproximális finomító csíkokkal (Cosmedent) távolítottuk el. A héjak széleit KY Jelly-vel bevontuk, és felületenként további 40 másodpercig polimerizáltuk.
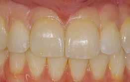
A héjakat végül 1 mikronos Porcelize és 1 mikronos Enamelize polírozópasztákkal (Cosmedent) políroztuk filckerekeken. Az Optibond FL és Empress Direct kompozit gyantával ortodontikus drótos rögzítő szerkezetet rögzítettünk a felső elülső sextáns palatális felületére. Alginátból lenyomatot vettünk egy Essix ortodontikus rögzítő szerkezethez, amelyet még aznap beillesztettünk. A páciens hathavonta visszajár ellenőrzésre és felülvizsgálatra.
Következtetések
Bár első ránézésre viszonylag egyszerű és egyértelmű esetről van szó, a klinikai esetbemutatás remélhetőleg megmutatja, hogy a részletekre való odafigyelés számos apró területen lehetővé teszi a klinikus számára, hogy konzervatívabb legyen a fogszerkezet tekintetében, és esztétikusabb eredményt érjen el, amely hosszú távon is előre jelezhető és visszakereshető. Kedvező okkluzális viszonyok és megfelelő maradék zománc esetén a héjak (kompozit magépítéssel vagy anélkül) gyakran kevésbé invazív megoldásnak tekinthetők az endodontikusan kezelt elülső fogak esetében, mint a hagyományosabb csapos és magalapú/teljes héjkorona. A szerző véleménye szerint a „kontaktlencse” effektussal elrejtett supragingivális margók a legtöbb esetben a legmegfelelőbb kezelési módszer. Az all-ceramic restaurációkkal történő rekonstrukciók esetén célszerű


megfontolni az elszíneződött fogak előzetes fehérítését, hogy csökkenjen a szükséges redukció és preparálás mértéke, és megkönynyüljön a supragingivális margók elhelyezése. Az egységes csonkárnyalatok megkönnyítik a fogtechnikus számára az öntvény kiválasztását és az árnyalatok összehangolását. A fogorvos és a fogtechnikus közötti kommunikációhoz elengedhetetlen a fényképezés,
különösen akkor, ha a fogtechnikus a fogorvostól távol dolgozik, és nem tud találkozni a pácienssel, hogy megvizsgálja. Az „Aperture”, „Photoshop” vagy „LightRoom” szoftverek használata a rendelőben lehetővé teszi a klinikus számára, hogy könnyen manipulálja a képeket, és gyorsan értékelje azok értékét és a rendelőben fellépő rendkívüli hatásokat: ez csökkenti a cementálás utáni pácienselé -
gedetlenség és az azt követő drága újrarendezések kockázatát.
Köszönetnyilvánítás
Hálás vagyok Laura Dellamuro RDN-nek a fogorvosi szék melletti segítségéért, valamint Rob Lynock RDT-nek kiváló technikai tudásáért, támogatásáért és tanácsaiért. Dr. Jason Smithson

Gyógynövényes termékek az egészséges fogakért és erős ínyért. Keresse a Herbodent Kft. 112-es számú standjánál.



n Az olyan természetes vegyületek, mint a juhar polifenol egyre nagyobb figyelmet kapnak a szintetikus anyagok alternatíváiként a fogszuvasodás megelőzésében. Az egyesült államokbeli University of Wyoming kutatócsoportja egy juharból származó vegyületet azonosított, amely hatékonyan gátolja a Streptococcus mutans biofilm képződését. A tanulmány szerint ez az organikus anyag biztonságos, természetes anti-biofilm hatóanyagként beépíthető lehet szájápolási termékekbe, különösen gyermekek számára.
Korábbi vizsgálatokat vettek alapul

Fotó: shutterstock.com hirdetés
A kutatás a növényi polifenolok korábbi vizsgálataira épül, amelyek antibiofilm tulajdonságokat mutattak. A tudósok kimutatták, hogy a juharfa és a juharnedv bizonyos vegyületei gátolják a sortáz A enzimet. Ez az enzim a bakteriális sejtfalhoz rögzíti a felszíni fehérjéket, így az S. mutans nem tud a fogfelszínhez tapadni.


„Mivel a Streptococcus mutans a fogszuvasodást biofilmképződéssel indítja el, majd savtermeléssel bontja a fogzománcot, arra voltunk kíváncsiak: vajon a juhar polifenol képes lehet megakadályozni az S. mutans biofilmképzését? Ez a kérdés vezette a vizsgálatot” – magyarázta dr. Mark Gomelsky, a mikrobiológia profeszszora és a program vezetője.
Laborvizsgálatok alapján a juhar polifenol sikeres a megelőzésben Laboratóriumi vizsgálatok igazolták, hogy a juhar polifenolból származó (-)-epikatechin-gallát (ECG) képes kötődni a sortáz A enzimhez, és gátolja annak működését. Ezáltal hatékonyan blokkolja a Streptococcus mutans biofilmképzését mind szintetikus fogmodelleken, mind hidroxiapatit korongokon. Az eredmények szerint az ECG erősebb hatást mutatott, mint a zöld teában található (-)-epigallokatechin-gallát (EGCG), amely már jelenleg is része bizonyos fogászati termékeknek. A kutatók úgy vélik, hogy az ECG beépítése a fogászati termékekbe ígéretes alternatívát kínálhat a hagyományos módszerekhez képest, amelyek elsősorban a baktériumok elpusztítására vagy a fogzománc remineralizációjára összpontosítanak. „Az ehető polifenolokon alapuló anti-biofilm stratégia különösen vonzó a gyermekek számára” – hangsúlyozta prof. Gomelsky. – „A hagyományos szájvizek esetében fennáll a toxicitás veszélye, míg egy biztonságosabb alternatíva, például egy hatékony dózisú juhar polifenolt tartalmazó szájvíz mellékhatások nélkül nyújthat védelmet.”
Előtérben a költséghatékonyság A juhar polifenol további előnyei közé tartozik a költséghatékonyság és az, hogy nem színezi el a fogfelszínt. A kutatócsoport jelenleg egyetemi spinoff vállalkozás keretében dolgozik a növényi polifenol-alapú szájápolási készítmények fejlesztésén. Valamint az ECG 100 µM koncentrációban kifejtett erős antibiofilm hatása miatt ígéretes jelöltnek számít a fogápolási termékekbe való beépítésre. A juhar polifenol véletlen lenyelés esetén sem jelent kockázatot, ezért alkalmas kisgyermekek számára is, akik hajlamosak lenyelni a szájvizet. Ezenkívül a teával ellentétben a juhar polifenol oldatok színtelenek és nem foltozzák be a fogak felületét, ami vonzó alternatívává teszi őket a mindennapi szájhigiéniai termékek számára.















Legalacsonyabb üzemeltetési költség (1,97%) Leghosszabb garancia (10 év) Stabil, folyamatos, megbízható működés - digitális vagy más fejlesztések stabil háttere













A-dec/NSK elektromos, nyomaték szabályozott LED-es, ENDO funkciós mikromotor, rpm 100-40000



























n A SHINING 3D Dental újabb mérföldkövet ért el a digitális fogászat területén: legfrissebb fejlesztéseivel tovább erősíti pozícióját a technológiai élmezőnyben. A gyártó legújabb innovációit a 2025-ös Nemzetközi Fogászati Kiállításon (IDS) mutatta be, köztük újgenerációs 3D nyomtatókat, fotogrammetriás intraorális szkennert, valamint egy mandibulamozgás rögzítésére alkalmas komplex munkaállomást is.

Az iDD szervezetnél az „év intraorális szkennere”, az Aoralscan Elite Wireless változata jelenleg a világ legkönynyebb vezeték nélküli IO szkennere, mindössze 194 grammos tömegével. A Wi-Fi 6 technológiának köszönhetően a készülék stabil és nagy sebességű adatátvitelt biztosít, miközben fotogrammetriai elven működő 3D letapogatása rendkívüli pontosságot nyújt. Különösen az all-on-X típusú implantációs esetekben nyújt előnyt, mivel akár 5 mikronos pontossággal képes meghatározni az implantátumok térbeli elhelyezkedését.
MetiSmile MR –arcszkennelés és mandibuladinamika egy rendszerben
A MetiSmile MR egy precíziós arcszkenner, amely egyedülálló módon képes a mandibula mozgáspályájának valós idejű rögzítésére. Ez lehetővé teszi, hogy a laboratóriumi tervezés dinamikus harapási adatok alapján történjen, így csökkentve az utólagos igazítás és korrekció szükségességét. A rendszer további funkciói között szerepel az állkapocsízületi analízis, a centrális reláció meghatározása, valamint a páciens CBCT-felvételének automatikus integrálása, mindez diagnosztikai szempontból is új távlatokat nyit.
e-Motion – komplexitás egy kompakt munkaállomásban
Az e-Motion egy minden igényt kielégítő, formatervezett, akku mulátoros munkaállomás, amely érintőképernyős felületet, gurulós állványt és nagy teljesítményű szá mítógépet egyesít. Az all-in-one

AccuFab-F1 – precizitás és sebesség kompromisszumok nélkül
Az AccuFab-F1 egy ipari szintű 3D nyomtató, amelyet kifejezetten nagy pontosságú, gyors és megbízható fogászati nyomatok előállítására terveztek. A nyomtatási platform és a gyantatartály kettős fűtésének köszönhetően optimális nyomtatási körülményeket biztosít a különféle anyagok, különösen a magas kerámiatartalmú vagy nagy viszkozitású gyanták esetén. A nagy fényintenzitású projektor és a moduláris felépítés nemcsak kiváló nyomtatási minőséget, hanem könnyű karbantartást és magas hatékonyságot is garantál.

FabCure N2 – utókezelés új szinten
A FabCure N2 egy nitrogénes fénypolimerizáló egység, amely jelentősen javítja a fogászati restaurációk fizikai és esztétikai tulajdonságait. A nitrogénnel történő kikeményítés csökkenti az

oxigénnel való reakciókat, így egyenletesebb és tartósabb felületet biztosít, amely megfelel a legmagasabb klinikai elvárásoknak. A berendezés tökéletesen illeszkedik a digitális munkafolyamatokhoz, növelve az eljárások következetességét és a végtermék minőségét.

A Shining 3D Dental új megoldásai nem csupán innovációk, hanem iránytűk is egy olyan digitális jövő felé, ahol a pontosság, a hatékonyság és a megbízhatóság új értelmet nyernek a fogászati praxisok és





„az év
intraorális
szkennere” „a legjobb IOS dizájn”
„az év
leginnovatívabb
digitális fogászati vállalata”
(iDD - Institute of Digital Dentistry)
A világ első fotogrammetrikus, 0,005 mm-nél pontosabb IO szkennere
All-On-X implantációhoz – és minden máshoz is. Már Wireless kivitelben is!

„Fogatlan, frissen műtött, vérző állcsont pontos digitális lenyomatvétele az Aoralscan Elite Wireless segítségével – ez már többé nem lehetlen!”
(Dr. Párkányi László, PhD)




Tel.: 06-20-982-6148
info@nextdental.hu
www.nextdental.hu

n Egy indiai kutatócsoport áttörést ért el a fájdalomérzékeny fogak kezelésében: mágnesesen irányított nanorészecskék segítségével most először sikerült tartósan megszüntetni a hőmérsékletre érzékeny fogfájdalmat. A forradalmi eljárást az Indian Institute of Science (IISc) és a nanotechnológiára specializálódott Theranautilus cég közösen fejlesztette ki. Eredményeiket a fájdalomérzékeny fogak kezelése nanotechnológiával témában az Advanced Science folyóiratban publikálták.


Injectable Restorations
European Summit
November 7-8, 2025
Grand Visconti Palace Via Isonzo, 14 – 20135 Milan - Italy
injectionsummit.eu
Cutting-edge techniques for dental restorations
Innovative solutions for injectable precision
Shaping the future of restorative dentistry
A jelenleg használt speciális fogkrémek ugyan átmenetileg képesek lezárni a csatornákat, de hatásuk mindössze néhány napig tart. A CalBots ezzel szemben tartós, cementhez hasonló záródást hoznak létre, amely hosszan védelmet nyújt. Új típusú biokerámia a fogérzékenység kezelésében
A kutatók egy teljesen új biokerámia-anyagot hoztak létre. Bár a biokerámiák már régóta jelen vannak az ortopédiában és a fogászatban, eddig nem bizonyultak hatékonynak az érzékeny fogak kezelésében. A megoldást a kalciumszilikát alapú nanorészecskék adták, amelyek mindössze 400 nanométer átmérőjűek, és vas-oxid részecskéket tartalmaznak. A külső mágneses mező segítségével pontosan a dentincsatornákba irányíthatók.
A CalBots akár 300–500 mikrométer mélységbe is behatolnak, majd ott megszilárdulva tartós záróréteget képeznek, amely a fog természetes környezetét utánozza. Az első laboratóriumi kísérletek után a kutatók egereken tesztelték az anyagot. A hidegre érzékeny állatok a kezelés után újra gond nélkül ittak hideg vizet – vagyis a fájdalomérzékenység teljesen megszűnt.

Fájdalomérzékeny fogak kezelése nanotechnológiával: mit jelent ez a betegek számára?
Ha a klinikai kísérletek is sikeresek lesznek, a CalBots technológia új korszakot nyithat a fájdalomérzékeny fogak kezelésében. A jövőben a páciensek tartós megoldást kaphatnak egy olyan problémára, amelyet eddig csak rövid ideig ható fogkrémekkel vagy érzékenységcsökkentő kezelésekkel lehetett enyhíteni.

1 fecskendő ONEshade + 2 fecskendő OliBULK Fill, univerzális színben
• gyors és egyszerű eljárás időt, pénzt és energiát takarít meg

OliBULK Fill
Fényrekötő kompozit, posterior maradandó és gyerekfogak „bulk” technikával való tömésére. Egylépéses helyreállításhoz, rétegezési technika használata nélkül. Egy speciális monomer mátrix biztosítja, hogy az anyag tökéletesen illeszkedjen a kavitás falához, még alámenős részek esetében is. Könnyen formázható.
ONEshade
Mikrohibrid kompozit nanorészecskékkel, egy, univerzális színben. A kaméleon effektus kulcsszerepet tölt be a terméknél: hatására a környező szövetekbe olvad a tömés színe.
A ONEshade magában használható nagy kavitásoknál, mint standard kompozit, rétegező technikával. Klinikai eseteknél OliBULK Fillel kombinálva a leggyorsabb esztétikus hatást érték el. Az OliBULK Fill folyékony kompozit alapként funkcionál, mely tökéletesen idomul a fog falához és 4 mm-es rétegben vihető fel. A ONEshade 2 mm-es rétegben kerül rá. Extrém tartós, magas mechanikai ellenállás.
Abszolút biokompatibilis (citotoxikus teszttel bizonyítva)
Keresse a kizárólagos magyarországi importőrnél:

Szeretettel várunk mindenkit standunkon
Zhermack termékek széles választékával!

Többszörösen díjnyertes amerikai BISCO termékek

• bondok, savak, primerek
• folyékony alábélelők
• cementek
• kompozitok
• csonkfelépítők
• csapok

BISCO, ahol a kémia és a száj egészsége találkozik
Dr. Byoung I. Suh vegyész 1981-ben alapította a céget, akkor még elsősorban a kompozitokra fókuszálva. Az összpontosított kutatás és fejlesztés eredményeként úttörőként forradalmasította a fogászati bondok technológiáját az ALL-BOND 2 és a ONE-STEP termékekkel. A cég évről évre új termékekkel jelentkezik a piacon. A kezdetben kis iroda mára 91 000 m²-es létesítménnyé nőtte ki magát, ahol a legkorszerűbb eszközöket és technikákat használják új termékeik fejlesztésére és a régiek jobbítására.
Keresse a kizárólagos magyarországi importőrnél!
1025 Budapest, Szépvölgyi út 52. Telefon: +36 1 325 7129, mobil: +36 30 203 6957, +36 30 241 5737 E-mail: herbodent@herbodent.hu www.herbodent.hu

A modern fogászat minden területén jelen vannak a műanyagok – legyen szó kompozit tömésekről vagy egyszer használatos szívócsövekről. Egyre több kutatás azonban arra figyelmeztet, hogy a mikroműanyagok – az 5 mm-nél kisebb részecskék – nemcsak a környezetet szennyezik, hanem az emberi egészségre is kockázatot jelenthetnek. A fogászat, amely hosszú ideje erősen támaszkodik műanyagalapú anyagokra, egyre inkább a figyelem középpontjába kerül.
Mivel a szakemberek vizsgálják, hogyan jutnak ezek a részecskék a rendelőkből a tágabb ökoszisztémába.
A mikroműanyagok már az emberi véráramban és szervekben is jelen vannak
The Atlantic által közölt írás rávilágított a probléma nagyságrendjére. A mikroműanyagok mára szinte

Egy új szerkesztői cikk rávilágított a fogászatban előforduló mikroműanyagok kritikus ökológiai problémájára, kiemelve a környezeti és emberi egészségügyi kockázatok lehető legnagyobb mértékű csökkentésének egyre növekvő szükségességét. (Kép: john/Adobe Stock) hirdetés
kikerülhetetlenek a mindennapi életben, és a fogászat sem kivétel. Bár a műanyagalapú anyagok forradalmasították a restauratív technikákat, a mindennapi beavatkozások, például a kompozit tömések fúrása vagy polírozása – mikroszkopikus törmeléket bocsátanak ki. A fogászati rendelők szennyvize így jelentős útvonal, amelyen keresztül ezek a részecskék a folyókba és az óceánok-

ba kerülnek. Ahol akár évtizedekig megmaradnak. Még aggasztóbb, hogy egyes vizsgálatok kimutatták: a mikroműanyagok már az emberi véráramban és szervekben is jelen vannak. Ami felveti a fogászati dolgozók foglalkozási kitettségének és a páciensek egészségügyi kockázatainak kérdését.
A tudományos kutatások most kezdik feltárni a probléma mértékét. Egy 2024-ben az Ecotoxicology and Environmental Safety folyóiratban megjelent tanulmány kimutatta, hogy a gyakran használt fogászati anyagok – például a gyantabázisú kompozitok és lenyomatanyagok – mérhető mennyiségű mikrorészecskét bocsátanak ki terhelés alatt. A kutatók arra a következtetésre jutottak, hogy még a jól bevált restauratív módszerek is akaratlanul hozzájárulhatnak a mikroműanyag-problémához. Ez aláhúzza annak sürgető szükségességét, hogy új alternatív anyagok vagy fejlettebb hulladékkezelési rendszerek szülessenek.
A műanyagmentes megoldások a környezetünk védelme érdekében Egy másik kutatási irányt a World Academy of Sciences Journal ismertetett. Amely a mikroműanyagok biológiai hatásait vizsgálta, és a fogászatban való megjelenésüket „csendes inváziónak” nevezte. Laboratóriumi eredmények arra utalnak, hogy ezek a részecskék gyulladást, oxidatív stresszt és sejtkárosodást idézhetnek elő, bár klinikai jelentőségük a fogászat szempontjából még további kutatásokat igényel. A gyakorló fogorvosok számára a probléma kettős: egyrészt a páciensek egészségét, másrészt a mindennap műanyagalapú eszközökkel dolgozó fogászati csapatok biztonságát is érintheti.
A környezetvédő szervezetek is egyre határozottabban szót emelnek. A Plastic Pollution Coalition nemrégiben áttekintést közölt a fogászatban alkalmazott műanyagokról, külön kiemelve az egyszer használatos eszközöket, például a kesztyűket, maszkokat és sterilizálótasakokat. Bár a fertőzéskontroll elsődleges marad, a jelentés arra ösztönzi a fogászati szakembereket, hogy ahol lehetséges, biztonságos és praktikus műanyagmentes megoldásokat válasszanak. Ilyen lehet például az újrahasználható alternatívák bevezetése, a hulladékáramok jobb szétválasztása vagy a biológiai alapú anyagok fejlesztése.
Mikroműanyagok a fogászatban: rengeteg még a megválaszolatlan kérdés
A mikroműanyagok kérdése a fogászatban még korai szakaszban van, de az irány egyértelmű. A szakmának szembe kell néznie a műanyagszenynyezéshez való hozzájárulásával. A fogászati szakemberek előtt komoly kihívás áll: az elvárt klinikai kiválóságot kell összeegyeztetni a környezeti felelősséggel – hogy a jövő szájegészsége ne az ökológiai és emberi egészség hosszú távú rovására valósuljon meg.
Fraser Macdonald Dental Tribune International


DR. JUN IWATA DR. DAN LAZAR
POSTERIOR OVERLAY PREPARATION AND CEMENTATION

DR. OMAR IKRAM
PUTTING OUT THE FIRE! TREATMENT OF ENDO EMERGENCIES

COMPOSITE VENEERS FROM PLANNING TO SURFACE TEXTURE


A PARADIGM SHIFT TO IMPROVE IMPLANTS IN THE ESTHETIC ZONE

DR. CLAUDIA PINTER PROF. ERIC LIOU
ALIGNERS IN COMBINATION WITH AUXILIARIES

CLASS II & CLASS III NON-SURGICAL ORTHODONTIC TREATMENTS

DR. MARCO MAIOLINO DR. PIERRE DIMITROV EDRIS RASTA
INJECTION MOULDING & MATRIX SYSTEMS

DR. CLAIRE O’CONNOR
RUBBER DAM ISOLATION THE KEY TO RESTORATIVE SUCCESS
THE PHENOTYPE PROJECT – DIGITAL NATURAL MORPHOLOGY DATABASE

THE ANATOMICAL JOURNEY OF RESTORATIVE DENTISTRY

DR. MICHAEL MELKERS DR. DAVID ZAKIS
OVERCOMING CHALLENGES IN OCCLUSION & CASE PLANNING
AESTHETIC DIRECT POSTERIOR RESTORATIONS

















Over 10 years at the foref ront of dental innovation.
Over 10 years at the foref of dental innovation.
APRIL 17-18, 2026
BUDAPEST, HUNGEXPO

DR. ZINONAS EVAGOROU
PROSTHETIC DESIGN AND SURGICAL PRECISION: BRIDGING THE GAP

DR. SÁRY TEKLA
A DIREKT ANTERIOR RESTAURÁTUMOK MŰVÉSZETE ÉS TUDOMÁNYA

DR. VARGA ENDRE
GUIDED SURGERY AND IMMEDIATE LOADING

DR. KRZYSZTOF GOŃCZOWSKI
TREATMENT OF COMPLICATED CARIES WITHOUT ROOT CANAL TREATMENT

UPGRADECONGRESS.HU
DR. MAARTEN DE BEER
THE BIG SIX ANTERIOR CERAMICS

DOBRENTEY ZSOLT
GYAKORLATI MATRICZÁSI TIPPEK ÉS TRÜKKÖK

STUMPF LÓRÁNT
MOSOLYTERVEZÉS 2026
TRENDEK ÉS MEGOLDÁSOK

DR. NAGY ZSOLT

DR. NIKOS ΚAMPANAS
THE ART OF DIRECT ANTERIOR COMPOSITE VENEERS

DR. FORSTER ANDRÁS
DIREKT BIOMIMETIKUS HELYREÁLLÍTÁSOK - HATÁROK NÉLKÜL?

ZEITLER SZILVIA
MOTIVATION INTERVIEW (MI) A BESZÉLŐ FOGÁSZAT

DR. MARADA GYULA
A DIGITÁLIS SZÉK MELLETTI FOGÁSZATI ELLÁTÁS LEHETŐSÉGEI




































































































50%



















Exceptional






















































































































Magyarországon a lakosság körülbelül 82%-a tapasztal időnként kellemetlen leheletet, míg 16% úgy gondolja, hogy általában szájszaga van.* Az állapot nemcsak esztétikai problémát jelent, hanem jelentősen ronthatja az érintettek életminőségét és társas kapcsolatait is.
A halitózis megelőzésének alapja a következetes és megfelelő szájhigiénia. Emellett hatékony kiegészítő megoldást kínálnak a célzott összetételű szájöblítők, például a nemzetközi szinten elismert The Breath Co. készítmények, amelyek már Magyarországon is elérhetők.
Ezek a szájvizek aktív oxigén es formulájuknak köszönhetően felveszik a harcot a kellemetlen lehelet ellen akár 12 órán keresztül , az ajánlott alkalmazás mellett. A szájöblítők egyik fő hatóanyaga a nátrium-klorit (NaClO 2 ), amelyből bomlása során vízoldékony klórdioxid gáz (ClO 2 ) keletkezik. A klórdioxid erőteljes oxidáló tulajdonsága révén fertőtlenítő és antimikrobiális hatású
Klinikai vizsgálatok bizonyítják, hogy a klór-dioxid szelektíven gátolja a halitózissal összefüggő baktériumok szaporodását, miközben megőrzi a szájüregi mikrobiom általános diverzitását [1]. Ezáltal a jótékony baktériumflóra épségben marad. Eredményességét egy 325 tanulmányt feldolgozó meta-analízis is igazolja, amely a klór-dioxid tartalmú szájöblítőket hatékony, mellékhatásoktól mentes szupportív terápiaként értékeli a halitózis kezelésében [2].
A The Breath Co. szájöblítők további előnyei:
1. Enyhén lúgos pH és neutralizáló hatás
A legtöbb savas kémhatású szájvízzel szemben ezek a termékek lúgos pH-val rendelkeznek, amely segít a szájüreg sav-bázis egyensúlyának fenntartásában, és hatékony védelmet nyújt a külső és belső savas behatások ellen.
2. Mentes termékek
A szájvizek alkohol-, parabén- és szulfátmentesek, továbbá nem tartalmaznak mesterséges színezékeket vagy mesterséges ízfokozókat.
3. Fogorvos által kifejlesztve
A termékeket dr. Harold Katz fogorvos és bakteriológus fejlesztette ki 1993-ban, aki a University of California fogorvosi karán végzett, majd megalapította a California Breath Clinics -et, és a halitózis elismert nemzetközi szakértőjévé vált. A termékek elérhetők egyes patikákban, drogériákban és online.
* Egy 953 fő bevonásával végzett online kutatás eredményei alapján, melyet a Pharmanext Kft. megbízásából az Opinio Insitute Kft. végzett 2024. áprilisban.
1 Márcia Botelho Dinis et al: Pilot study on selective antimicrobial effect of halitosis mouthrinse: monospecies and salive-derived microbiome in vitro model system. Journal of Oral Microbiology. 2021, Vol. 13, 1996755.
2 E Szalai, P Tajti, B Szabó, P Hegyi, LM Czumbel, S Shojazadeh, G Varga, O Németh, B Keremi: Daily use of chlorine dioxide effectively treats halitosis: A meta-analysis of randomised controlled trialsPLoS One 2023 Jan 12;18(1):e0280377
Kozmetikumok. Magyarországon forgalmazza: Pharmanext Kft. 1085 Budapest, Stáhly u. 2/a info@pharmanext.hu Lezárás dátuma: 2025. 08. 27. PNXT-35/2025





A szájflóra Lactobacillus-összetételének vizsgálata egészséges, diabéteszes, carieses és cariesmentes gyermekekben

1. ábra: A probiotikumok potenciális hatásmechanizmusai a szájüregben.
A probiotikumok működése a szájüregben
A probiotikumok elsődleges feladata az egészséges és optimális összetételű mikroflóra biztosítása [1]. A jótékony baktériumok medicinális alkalmazása korunk egyre aktuálisabb kérdésévé vált az egészségügy számtalan területén. A probiotikumok működése a szájüregben hasonló a gasztrointesztinális traktusban tapasztalt működési mechanizmusokhoz. A szájüregben megtalálható jótékony baktériumok potenciális működési mechanizmusai az alábbiak: (1. ábra) [2].
Az első és legfontosabb a probiotikumnak minősülő baktériumok kolonizációs képessége. A jótékony törzsek bakteriális aggregátumot hoznak létre, ezáltal gátolják a többi, esetlegesen káros mikroorganizmus megtapadását a szájüreg különböző felületein. Azáltal, hogy versenyeznek a táplálékért és a növekedési faktorokért, nagyban befolyásolják a dentális plakk ökológiai rendszerét. Ezen felül képesek különféle fehérjék termelésével antagonizálni egyes orális patogének működését [3]. A jótékony baktériumoknak fontos szerepük van a megfelelő immunválasz kialakulásában és az IgA-termelés serkentésében. Gátolják a patogének által szekretált proinflammatorikus citokinek termelődését, csökkentik a Mátrix Metallo Proteáz (MMP) termelődését. A fentiek eredményeképpen
növekedni fog a helyi és a szisztémás immunválasz, mérséklődnek a gyulladásos folyamatok, csakúgy, mint a következményes szövetdestrukció [4].
A probiotikumok szerepe a fogszuvasodás és a parodontális betegségek megelőzésében, kezelésük támogatásában
A humán szájüregben a Lactobacillusok és Bifidobacteriumok fordulnak elő legnagyobb arányban. Ezen baktériumok szájüregi betegségekben betöltött szerepét sok szempontból vizsgálták. A caries megelőzésében jelentős szerepük van a jótékony baktériumoknak. Mikrobiológiai szempontból a caries kialakulásáért elsősorban a Streptococcus- (S.), az Actynomices- (A.) és egyes savtermelő, nagyobb fermentációs kapacitással rendelkező Lactobacillus-törzsek (L.) felelősek. Egyes jótékony baktériumok képesek csökkenteni a nyálban lévő S. mutans számát, amely a legmeghatározóbb Streptococcus-törzs a caries kialakulásában, mivel károsítja a fog keményszövetét [5,6] Szakirodalmi adatok támasztják alá az S. mutans-számban bekövetkező csökkenést egyes élőflórás élelmiszerek fogyasztása után [7], valamint bizonyos probiotikumtörzsek alkalmazása mellett.
Egy 2013-ban publikált pilot studyban az L. paracasei DSMZ16671 probiotikumtörzs alkalmazásával a
Prodentis® JUNIOR
nyál S. mutans-számának szignifikáns csökkenését írták le [8].
Egy 2019-es kettős vak, placebokontrollált vizsgálatban az L. reuteri Prodentis (L. reuteri ATCC PTA 5289 és DSM 17938 probiotikumtörzsek kombinációja) szopogatótablettát 178 egészséges, 3-6 év közötti, magas S. mutans-számmal rendelkező gyermeknek adták. 4 hetes alkalmazás után a caries kialakulásáért felelős S. mutans-szám szignifikánsan, 43%-kal csökkent a nyálban [9].
A cariogén törzsek mennyiségi csökkentése mellett, azok adhéziós képességének gyengítése is a kutatások tárgyát képezi. Egy in vitro kísérletben a Lactobacillusok és a Bifidobacteriumok cariogén Streptococcus-törzsek adhéziós képességére kifejtett hatását vizsgálták inkubációs technológiával. Modellként az S. mutans és S. gordonii törzseket használták. Mindkét baktérium adhéziója csökkent a nyállal borított felszíneken az alkalmazott probiotikumok jelenlétében, az S. mutans kötődésének csökkenése azonban jelentősebb volt. Ennek magyarázata, hogy a jótékony baktériumok megkötötték a nyálban található agglutinin gp340-et, amely az S. mutans egyetlen kötőhelye. Az S. gordonii viszont más receptormolekulákhoz is képes kötődni a nyálban, így adhéziója kisebb mértékben csökkent [10].
A parodontopathia az íny és a fog rögzítőapparátusát érintő betegség. Részben bakteriális fertőzés, amely jelentkezhet egy-egy fog körül, de akár az egész szájüregre kiterjedően is. A kórképben legnagyobb számban jelenlévő mikroorganizmusok az Actinimyces-, az Aggregatibacter- és a Tannerella-törzsek [11]
A parodontopátiák probiotikumokkal történő gyógyítása is biztató eredményeket mutat. Gingivitis, parodontitis, periimplantáris mucositis indikációkban a legtöbb vizsgálat (több mint 70) az L. reuteri Prodentis orális probiotikumkombinációval történt. Speciális működésmechanizmusának

köszönhetően csökkenti az ínyvérzést, a plakkindexet és a gingivaindexet. A TNF α proinflammatorikus citokin szintjének csökkentésével mérsékli a gyulladást, csökkenti a tasakmélységet, valamint igazoltan pusztítja a parodontopatogéneket.
Az L. reuteri Prodentis mellett más probiotikumtörzsekkel is történtek vizsgálatok. Li Ma és munkatársai L. acidophilus-tartalmú lokális ecsetelőkkel kezeltek gingivitisben, paradontitisben és terhességi fogínygyulladásban szenvedő pácienseket. Mindegyik esetben számottevő javulást értek el a terápiával [17]. Az L. brevis a Matrix Metallo Proteáz (MMP) mennyiségét redukálta a nyálban. Megfigyelték, hogy míg a B. subtilis csak a parodontopatogén baktériumok számát csökkentette, addig az L. salivarius-tartalmú tabletták a tasakmélységet is befolyásolták [18].
A fent említett szájüregi betegségek terápiája természetesen nagyban függ a szájhigiénia rendezésétől és a dentális plakk eliminációjától, mivel ezek önmagukban is lehetővé teszik a patogén flóra visszaszorítását. Az orális probiotikumok használata azonban – mint kiegészítő, illetve profilaktikus terápiás eszköz – egyre elismertebbé válik.
Saját vizsgálataink Kutatásunk során a carieses és cariesmentes, illetve egészséges és diabéteszes gyermekek nyálmintáiban mértük az összcsíraszámot, a Lactobacillus- összcsíraszámot, illetve a Lactobacillusok species-szintű előfordulását a különböző pácienscsoportokban [19].
A diabéteszes gyermekeknél adott egy szisztémás háttérbetegség, amely egyben az immunrendszer gyengébb működését feltételezi. Vizsgálatainkkal szerettük volna feltérképezni, hogy ezen kórkép fennállása során milyen szájflóraeltolódások figyelhetők meg az egészséges szájflórához képest. És vajon azon esetekben, amelyekben nem áll fenn semmilyen szisztémás
háttérbetegség, tehát az immunrendszer feltételezhetően teljesen ép, ellenben a szájüregi flóra cariogén, kimutatható-e eltérés a Lactobacillusok mennyiségében és species-szintű összetételében az egészséges fogú gyermekekhez hasonlítva.
Carieses és cariesmentes gyermekek szájflórájában található probiotikumfajok vizsgálata Kutatásunk során 20 carieses és 20 cariesmentes gyermekből nyugalmi nyálmintát gyűjtöttünk. A vizsgált páciensek a 8–12 éves korosztályból kerültek ki. A részvétel kritériuma volt, hogy veleszületett vagy aktív betegség ne álljon fenn, illetve a vizsgálatot megelőző két hétben a gyermek ne fogyasszon antibiotikum- és probiotikumkészítményeket. A résztvevők a vizsgálat napján nem mostak fogat, és a mintavételt megelőző 4 órában nem ettek / ittak élőflórás élelmiszert. A fogászati anamnézis és a szájvizsgálat során rögzítettük a DMF (decayed, missing, filled) indexet. Az aktív cariesszel nem rendelkező (DMF=0) gyermekeket a kontrollcsoportba osztottuk, a carieses csoportba pedig olyan gyermekeket válogattunk, akik szájában legalább három aktív szuvasodást találtunk, és DMF indexük nagyobb volt, mint 5.
Diabéteszes és egészséges gyermekek szájflórájában található probiotikumfajok vizsgálata Ebben az esetben szintén 20-20 gyermek vett rész a vizsgálatban. A részvétel kritériumai megegyeztek az előzőekben leírtakkal, azzal a különbséggel, hogy itt minden gyermek DMF indexe 0 volt. A továbbiakban a vizsgálat menete megegyezett az előzőekben leírtakéval.
Eredmények
A carieses gyermekek szájüregi összcsíraszáma nem mutatott szignifikáns eltérést az egészséges foga-













plantarum és az L. vaginalis előfordulása volt domináns.

kezelésében, valamint caries megelőzésében.
5. Gutkowski S. An in-depth view of oral probiotics. DEntistryIQ. 2012
Clinical Trial. J Clin Pediatr Dent. 2018; 42(5):331-338
10. Haukioja A, Loimaranta V, Tenovuo J. Probiotic bacteria affect the composition of salivary pellicle and streptococcal adhesion in vitro. Oral Microbiol Immunol. 2008; 23(Suppl4): 336-43.
11. Gera I. Periodontology [Paradontológia.] Semmelweis Kiadó és Multimédia Stúdió, Budapest 2009 pp.[Hungarian]
12. Schlagenhauf U. et al. J Clin Periodontol. 2016, 43(11):948-954.
13. Schlagenhauf U. et al. J Periodontol. 2020:101002/JPER 19-0393
14. Twetman, S. et al. Acta Odontol Scand, 2009:67:19-27
zatú gyermekekhez képest. Viszont a Lactobacillusok összcsíraszáma a carieses gyermekek csoportjában szignifikánsan alacsonyabb volt a cariesmentes csoporthoz képest (2. ábra) A cariesmentes gyermekek csoportjában az L. plantarum, L. fermentum fajok fordultak elő legnagyobb menynyiségben, míg a carieses csoportban az L. salivarius előfordulása dominált leginkább.
A diabéteszben nem szenvedő gyermekek összcsíraszáma sem mutatott szignifikáns eltérést a diabéteszes csoporthoz képest. A Lactobacillus-összcsíraszám a diabéteszes gyermekekben szignikánsan alacsonyabb volt, mint az egészséges csoportban (3. ábra). A Lactobacillusok kvalitatív összetételének elemzése során a diabéteszes csoportban az L.
Összefoglalás
A szájflóra egyensúlya külső és belső fizikai-kémiai-biológiai faktorok hatására könnyen felborulhat. A fogszuvasodás következtében felszaporodó cariogén flóra, valamint a diabétesz fennállása is hozzájárulhat a kártékony baktériumok dominanciájához és a jótékony baktériumok mennyiségének csökkenéséhez. Fontos a normál szájüregi flóra mielőbbi helyreállítása, melyben segítségünkre lehetnek a különféle – elsősorban az orális flóra támogatására kifejlesztett –probiotikumkészítmények. Fontos, hogy klinikailag igazolt hatású probiotikumot válasszunk, melynek hatékonysága az adott indikációban kettős vak, placebokontrollált vizsgálatokkal igazolt. Az L. reuteri Prodentis a legtöbbet kutatott orálbiotikum gingivitis, parodontitis
Dr. Moldován Anna, Semmelweis Egyetem Gyermekfogászati és Fogszabályozási Klinika
Irodalomjegyzék
1. Wilkins T, Sequoia J. Probiotics for Gastrointestinal Conditions: A Summary of the Evidence. Am Fam Physician. 2017; 96(Suppl3): 170-178.
2. Haukioja A, Probiotics and oral health. Eur J Dent. 2010; 4 (Suppl3): 348-55.
3. Meurman JH, Stamatova IV. Probiotics: Evidence of Oral Health Implications. Folia Med (Plovdiv) 2018; 60(Suppl1): 21-29.
4. Galdeano CM, Cazorla SI, JML Dumit, et al. Beneficial Effects of Probiotic Consumption on the Immune System. Ann Nutr Metab. 2019; 74(Suppl2): 115-124.
Támogatjuk a fogor vosok fejlődését teljes körű megoldásokkal a rendelők fel szereléséhez – fejlet t technológia, dedikált szer viz és támogatás minden lépésben.
Ter vezés | Telepítés | Finanszírozás | Garancia
6. Laleman I, Teughels W. Probiotics in the dental practice: a review. Quintessence Int. 2015; 46(Suppl3): 255-64.
7. Nadelman P, Magno MB, Masterson D, et al. Are dairy products containing probiotics beneficial for oral health? A systematic review and meta-analysis. Clin Oral Investig. 2018; 22(Suppl8): 2763-2785.
8. Holz C, Alexander C, Balcke C. Lactobacillus paracasei DSMZ16671 Reduces Mutans Streptococci: A Short-Term Pilot Study. Probiotics Antimicrob Proteins. 2013; 5(Suppl4): p. 259-263.
9. Alamoudi N. et al.: Effect of probiotic Lactobacillis reuteri on salivary cariogenic bacterial counts among groups of preschool children in Jeddah, Saudi Arabia: A Randomized
15. Teughels, W. et al: 2013:40:10251035
16. Vivekananda, M. R. et al. J Oral Microbiol. 2010:2:5344
17. Ma L, Ding Q, Feng X, et al. The protective effect of recombinant FomA-expressing Lactobacillus acidophilus against periodontal infection. Inflammation. 2013; 36(Suppl5): 1160-70.
18. Riccia DN. Anti-inflammatory effects of Lactobacillus brevis (CD2) on periodontal disease. Oral Dis. 2007; 13(Suppl4): 376-85.
19. Moldován A., Rózsa N., Herczeg A: A probiotikumok szerepe az orális egészségben. A szájflóra Lactobacillus összetételének vizsgálata egészséges és diabéteszes gyermekekben. Orvosi Hetilap 2023. 164. évfolyam, 24. szám, 942-947.










Csatlakozzon online szakmai közösségünkhöz a Haleon Health Partner honlapon.
Az oldalon elérhetőek:
• Szakmai anyagok
• Akkreditált webináriumok
• Ingyenes termékminta rendelés páciensei számára
A rendezvény időtartama alatt keresse kollégáinkat a Haleon standon, mintaigényléssel és regisztrációval kapcsolatban!
Rendeljen online ingyenes termékmintákat pácienseinek!


Regisztráljon most!



Rendeljen most!



n Cégünk több mint 15 éve elkötelezett hírnevének fenntartásában és folyamatosan bővülő szolgáltatásaival szolgálja ki a fogászati szektor igényeit.
Kibővített szolgáltatások
4/2009. (III. 17.) EüM rendeletben szereplő orvostechnikai eszközök kötelező felülvizsgálata terén 2019 óta dolgozunk. Rendelkezünk a szükséges engedélyekkel és képzésekkel, hogy biztosítsuk a megfelelő minőségi ellenőrzést és felülvizsgálatot. Cégünk a következő orvostechnikai eszközök felülvizsgálatát végezheti: fogászati röntgenek (intraorális és panorámaröntgenek); sterilizáló berendezéseken belül: gőzsterilizátorok és hőlég-sterilizátorok; valamint mennyezeti/műtőlámpák. Továbbá 2023. május 26. óta tovább bővítettük szolgáltatásainkat a fogászati kezelőegységek felülvizsgálatával. Így minden olyan fogászati rendelőt segítünk, amelynek fontos a biztonság és a magas színvonalú kezelés.
Szakértői szervizelés és alkatrészellátás
Szakértői szervizelési és karbantartási szolgáltatásokat is kínálunk
hirdetés
ügyfeleinknek. A cégünk által képzett szakemberek biztosítják, hogy a fogászati berendezések mindig tökéletesen működjenek. Az ügyfeleink nyugodt szívvel használhatják a felszereléseiket, mivel rendszeres karbantartásukról és javításukról gondoskodunk.
A szervizeléshez szükséges alkatrészek széles választékával és gyors javítási folyamattal rendelkezünk. Számos elismert kézidarabokat gyártó cég márkaszerviz tevékenységét is ellátjuk, és a hozzánk küldött kézidarabokat postafordultával javítva visszaküldjük. Cégünk nemcsak fogászati berendezések szervizelésével foglalkozik, hanem fogászati berendezések értékesítésével is. Partnereink számára kínálunk minőségi termékeket, mint például a Cefla S. C. Európa egyik legnagyobb fogászati szék gyártójának márkáit a Stern Weber, valamint a röntgenberendezések területén Myray márkát, amelyek a fogásza-

ti szakma vezető választásai. Az évtizedek során kiépített kapcsolatainknak és tapasztalatainknak köszönhetően biztosítjuk, hogy minden fogászati klinika a legújabb technológiával legyen felszerelve. Immáron Kavo kezelőegység helyére kiállás áthelyezése nélkül üzembehelyezhető Stern Weber kezelőegység. Fogászati anyagok Szolgáltatásaink és berendezéseink mellett széles körű fogászati anyag -
választékot is kínálunk partnereink számára. Termékpalettánkban megtalálhatók:
• tömőanyagok és kompozitok,
• lenyomatvételi anyagok,
• cementek és ragasztók,
• fertőtlenítő- és higiéniai anyagok,
• endodonciai és profilaktikai eszközök,
• egyszer használatos termékek (pl. nyálkendő, nyálelszívók, poharak, tálcák).
Anyagainkat kizárólag megbízható, nemzetközileg elismert gyártóktól szerezzük be, így ügyfeleink biztosak lehetnek a minőségben és a hosszú távú megbízhatóságban. Célunk, hogy minden fogorvos a napi munkájához szükséges anyagokat gyorsan, rugalmasan és kedvező feltételekkel beszerezhesse tőlünk.
Cégünk büszkén képviseli a Stern Weber, MyRay, Cattani, Nouvag, NSK termékeket. Standunkon a vásárlóink választ kaphatnak minden kérdésükre és betekintést nyerhetnek az általunk kínált legújabb innovációkba. Ne habozzon kapcsolatba lépni velünk, ha további információra vagy szolgáltatásainkra van szüksége. Dentalcoop Plus Kft. mindig itt van, hogy támogassa a fogászati rendelőket és a fogászati szakembereket.












FOGELTÁVOLÍTÁS



IMPLANTÁCIÓS MŰTÉT
PARODONTÁLIS MŰTÉT

Klórhexidin ADS + Polinukleotidok + Hialuronsav






Forgalmazza: Sager Dental Kft. www.sagerdental.hu












1 Átlagosan a hagyományos All-on-4® kezelési koncepcióhoz képest, korlátozott piaci felmérés alapján. GMT 95286 GB 2504 © Nobel Biocare Services AG, 2025. AMinden jog fenntartva. A Nobel Biocare, a Nobel Biocare logó és minden más védjegy a Nobel Biocare védjegye,kivéve,hamásképpnemrendelkezik.vagya szövegkörnyezetből nemderülki.Továbbiinformációkahttp://www.nobelbiocare.com/trademarks oldalontalálhatók.Atermékképeknemfeltétlenülméretarányosak.Egyestermékekesetében előfordulhat, hogymégnemkaptakszabályozóijóváhagyást,nem kerültek bevezetésre, vagy nem rendelkeznek forgalmazási engedéllyel minden piacon. kevesebb fogorvosi székben töltött idő1 alacsonyabb költségek1 kevesebb betegellátási alkalom1