GUÍA PRÁTICA HILOS PDO - FERNANDA SULZBACH

Page 32

Sobre la autora

Recibida en la Universidade Federal do Rio Grande do Sul – UFRGS

Residencia Médica Cirugia General en el Hospital Ernesto Dornelles – HED

Posgrado Medicina Estética – Sociedad Brasileña de Medicina Estética - SBME

Posgrado Nutrología por la Asociación Brasileña de Nutrología - ABRAN

Posgrado Administración y Marketing en la Fundación Getúlio Vargas - FGV

Este ebook está basado en un trabajo de 10 años con Hilos de Tracción y PDO. Aquí traigo datos de la literatura, pero además, toda mi experiencia clínica a lo largo de estos años.

Durante este período, hubo más de 1.900 pacientes tratados, con diferentes técnicas, siendo desarrolladas según la necesidad de obtener resultados, pero principalmente con el objetivo de disminuir complicaciones.

Acá no hay conflicto de intereses, sino la voluntad de compartir con colegas un trabajo de años, con errores, aciertos, dificultades, aprendizajes y principalmente de persistencia en la búsqueda de resultados y técnicas que promuevan el éxito en el tratamiento con hilos.

La Guía Práctica Hilos PDO surgió por lo tanto de una gran necesidad de organizar los hilos disponibles actualmente en Brasil, para una mejor orientación en la práctica diaria en su consultorio.

4
5 ORIENTACIONES INICIALES 08 1 - CONCEPTOS EN HILOS PDO 11 1.1– INTRODUCCIÓN 11 1.2– PLANO DE APLICACIÓN 14 1.3– COMPOSICIÓN DEL HILO PDO 20 1.4– CLASIFICACIÓN POR GRUPO 22 1.5– CLASIFICACIÓN POR MODELO 24 2 - HILO LISO, INDICACIONES Y TÉCNICAS 31 2.1 – CONCEPTOS 31 2.2 - HILO LISO POR FABRICANTE 33 2.3 – INDICACIONES 38 2.4 – TÉCNICAS 42 2.4.1 – TERCIO SUPERIOR 42 2.4.2 - PERIORAL 47 2.4.3 - TECIO MEDIO E INFERIOR 50 2.4.4 – TERCIO INFERIOR 52 2.4.5 – JOWLS 53 2.4.6 – CUELLO 54 3 - PÁRPADOS INFERIORES 57 3.1 – CONCEPTOS 57 3.2 – PLANOS 59 3.3 – ZONA DE RIESGO 61 3.4 – TÉCNICAS 64 4 - HILO TORNADO, INDICACIONES Y TÉCNICAS 68 4.1 – CONCEPTOS 69 4.2 - HILO LISO POR FABRICANTE 70 4.3 – INDICACIONES 73 4.4 – TÉCNICAS 75 4.5 – TÉCNICAS SUBMENTÓN 82 4.6 – TÉCNICAS CUELLO 86
64.7 - TÉCNICAS PECHO 87 4.8 – TÉCNICAS ABDOMEN 88 4.9 – TÉCNICAS MIEMBROS Y PARA ESTRIAS 91 5 - HILOS EN GLABELA 96 5.1 – CONCEPTOS 97 5.2 - HILO LISO (CONCEPTO, INDICACIONES Y TÉCNICAS) 98 5.3 - HILO TORNADO (CONCEPTO, INDICACIONES Y TÉCNICAS) 101 5.4 – BIOESTIMULACIÓN 104 6 - HILOS VOLUMINIZADORES 106 6.1 – HILO FILLER 107 6.2 – HILO TUFT 109 6.3 – TÉCNICA 110 6.4 – HILO COIL 111 6.5 – HILO MATRIX 113 6.6 – ÁREA DE APLICACIÓN – COIL Y MATRIX 115 7 - HILOS ESPICULADOS 116 7.1 – CARACTERÍSTICAS DE TRACCIÓN 117 7.2 – LIGAMENTOS DE RETENCIÓN DE LA FACE 122 7.3 – HILOS ESPICULADOS POR FABRICANTE 124 8 - HILOS ESPICULADOS MOLDEADOS 128 8.1 – ESPÍCULAS CORTADAS VS MOLDEADAS 129 8.2 – HILOS MOLDEADOS POR FABRICANTE 132 8.3 – INDICACIONES Y CONTRAINDICACIONES 136 9 - HILOS ESPICULADOS MOLDEADOS - TÉCNICAS 137 9.1 – INDICACIONES Y TÉCNICAS 138 9.2 – ZONA SUPERCILIAR 139 9.3 – FOX EYES 144 9.4 – BROW LIFT 145 9.5 – ENTRADA POR ZONA SUPERCILIAR 146 9.6 – TERCIO MEDIO 149
7 9.7 – TERCIO INFERIOR 153 9.8 – SUBMENTÓN Y CUELLO 160 10 - TÉCNICAS CON NUDO 164 10.1 – CONCEPTOS 165 10.2 – TÉCNICA 166 11 - HILO MAGIC PLUS 167 11.1 – CONCEPTO 168 11.2 – TERCIO SUPERIOR – TÉCNICA EN “V” 170 11.3 – TERCIO MEDIO – SURCO NASOLABIAL 174 11.4 – TERCIO INFERIOR – SURCO LABIOMENTONIANO Y JOWLS176 11.5 – TRATAMIENTO COMBINADO FULL FACE 179 11.6 – TRATAMIENTO CUELLO 181 11.7 – COMPARACIÓN ENTRE HILOS 184 12 - ANESTESIA Y KIT DE MATERIAL 185 13 - CURACIÓN Y SU IMPORTANCIA 189 13.1 – CONCEPTO 190 13.2 – POST PROCEDIMIENTO 193 8.3 – INDICACIONES Y CONTRAINDICACIONES 136 14 - TRATAMIENTOS COMBINADOS 196 14.1 – CONCEPTO 197 14.1 – TRATAMIENTO DE ÁREAS CORPORALES 202 14.2 – REVISIÓN DEL PACIENTE 203 APRECIACIONES FINALES 202 BIBLIOGRAFIA 203

ORIENTACIONES INICIALES ENTENDIENDO A SU LIBRO

1 - Los Hilos de Polidioxanona (PDO) utilizados en este ebook son Hilos de Bioestimulación y Sustentación como: PDO Lisos, Espiculados, Tornados y Espiculados Bidireccionales y nuevos modelos del mercado.

2- Contenido totalmente actualizado para que podamos llevar lo más moderno del mercado a nuestros pacientes.

3- Todas las técnicas y demás ilustraciones de este libro están registradas en la Cámara Brasileña del Libro. Si las utiliza en sus clases o publicaciones, referencie mi trabajo.

4- El libro presenta en la parte superior una indicación con las siguientes informaciones:

NÚMERO DE LA PÁGINA

NIVEL DEL CONTENIDO BÁSICO AVANZADO

ORIENTACIONES PARA UTILIZAR LA REGLA

TÍTULO DEL CAPÍTULO

1 – CONCEPTO EN HILOS PDO

1.1 – INTRODUCCIÓN

8
BÁSICO 6 INTERMEDIO

ORIENTACIONES INICIALES ENTENDIENDO A SU REGLA

1- Punto de entrada: En la regla está la medida cero, y corresponde al inicio de la aguja o cánula.

2- Distancia entre hilos: En la regla, se utiliza para tener como referencia el espacio entre los hilos.

3- Zona de seguridad para las ranuras: Sirve para el usuario establezca límites para el uso de los hilos.

9
BÁSICO MUESTRA
GRATUITA
1CONCEPTO EN HILOS PDO

1 – CONCEPTO EN HILOS PDO 1.1 – INTRODUCCIÓN

La Polidioxanona es un monofilamento sintético absorbible, no alergénico y biocompatible.

Es un biomaterial que induce a la formación de colágeno, elastina, fibroblastos y ácido hialurónico.

Su composición material viene siendo utilizada en la Medicina ya hace más de 30 años.

Su función principal es la bioestimulación, porque estimula fibroblastos a sintetizar matriz extracelular, aumentando la actividad del colágeno dérmico.

La degradación de los hilos ocurre por hidrolisis, puede suceder en 3 hasta 8 meses, según el diámetro del hilo. El hilo es excretado por la orina y causa baja reacción inflamatoria,

Por lo general, los hilos más finos, como el liso, sufren hidrolisis en 3 meses, mientras que los más espesos, como espiculados, 8 meses.

11
BÁSICO

1 – CONCEPTO EN HILOS PDO

1.1 –

INTRODUCCIÓN

LA ACCIÓN DE LOS HILOS EN EL ORGANISMO

GENERA:

• NEOCOLAGENOGÉNESIS

• MEJORA EL APORTE VASCULAR

• FORTALECIMIENTO DE SEPTUM

• RECONEXIÓN DE TEJIDOS

• REPOSICIONAMIENTO DE TEJIDOS

Estudios muestran que en 4 semanas hay fibras de colágeno reordenadas, una mejora del aporte vascular y colágeno neoformado conectándose al tejido conectivo preexistente.

Dong Hye Suh en un estudio realizado con 31 pacientes sometidos al tratamiento con hilos PDO, expuso en una evaluación histológica, una cápsula fibrosa homogénea alrededor del hilo, preservando la tracción y compactación de los tejidos.

12
BÁSICO

1 – CONCEPTO EN HILOS PDO 1.1 – INTRODUCCIÓN

En el trabajo se ha observado que las papilas dérmicas presentan mayor espesor, indicando crecimiento del componente colágeno intersticial. Las mejoras en las arrugas y en los poros visibles observados en los pacientes pueden ser explicadas por estas alteraciones en la dermis. La satisfacción del paciente y las evaluaciones objetivas indicaron puntajes más altos en la mejora de la textura que en la elevación de tejidos a largo plazo.

13
BÁSICO

1 – CONCEPTO EN HILOS PDO

1.2 – PLANO DE APLICACIÓN

El plano de aplicación de cualquier hilo es subcutáneo superficial, por encima del SMAS, sin riesgos de traspasar estructuras importantes siempre y cuando se tenga un entrenamiento adecuado. Es importante recordar la anatomía del nervio facial y sus ramos.

Existen 3 razones por las cuales el paciente sienta dolor o molestias durante el pasaje de los hilos de sustentación:

1. Plano incorrecto: prensión de la dermis, dificultad en el pasaje y progresión del hilo. El paciente relata dolor o molestias.

2. Estructura vascular: rotura de la estructura vascular. El sangrado genera ardor y molestias con alivio rápido. En el caso de dolores intensos, sospechar del plano. Es más común que haya sangrado con hilos en aguja.

14
BÁSICO

BÁSICO

1 – CONCEPTO EN HILOS PDO 1.2 – PLANO DE APLICACIÓN

3. Ligamento Cigomático y/o Masetérico: a la altura de estos ligamentos, algunos pacientes pueden relatar molestias por la retracción existente, lo que puede generar una cierta dificultad para el profesional durante la progresión de la cánula o aguja.

Estas 3 situaciones son consideradas normales, en las cuales el paciente relata molestias. Sin embargo, no hay riesgos.

Observar:

• Plano incorrecto

• Estructura Vascular

• Ligamento Cigomático y/o

Masetérico

15

1 – CONCEPTO EN HILOS PDO

1.2

Ramo Frontal

– PLANO DE APLICACIÓN

Artéria Temporal Superficial

Ilustración hecha para para el Libro Guía Práctica Hilos PDO

Artista: Vagner Coelho

16
BÁSICO

1 – CONCEPTO EN HILOS PDO

1.2

– PLANO DE APLICACIÓN

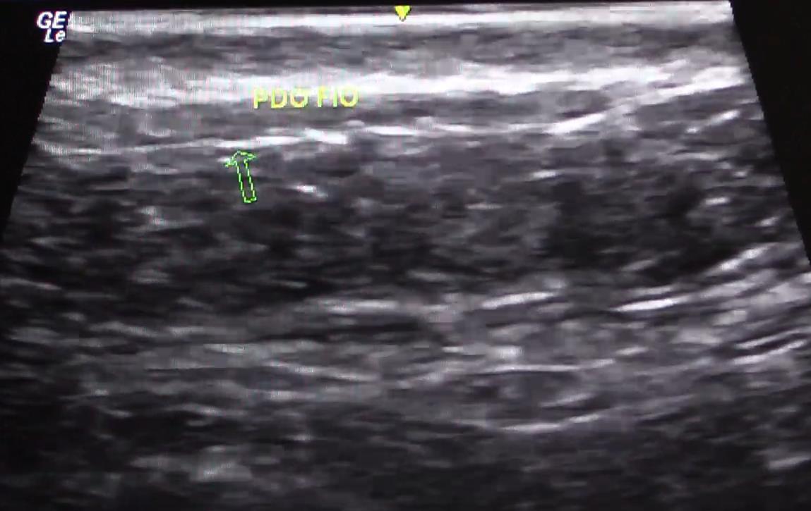
Representación de plano de aplicación con hilo canulado.

DISTANCIA DE LA DERMIS 3mm

CÁNULA

Fuente: Ecografía realizada por la Dra. Cristiane Ribeiro - Radióloga y Dermatóloga

17
BÁSICO

1 – CONCEPTO EN HILOS PDO

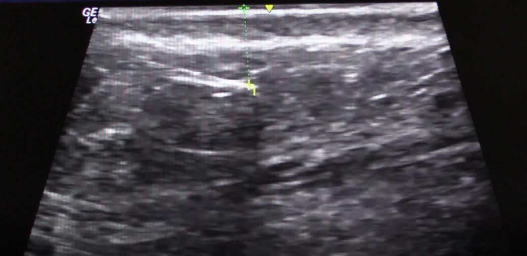
1.2 – PLANO DE APLICACIÓN

Fuente: Ecografía realizada por la Dra. Cristiane Ribeiro

18
BÁSICO

1 – CONCEPTO EN HILOS PDO

1.2 – PLANO DE APLICACIÓN (LIGAMENTOS)

Ligamento Tear

trought

Ligamento Cigomático Cutáneo

Ligamento Masetérico Cutáneo

Ilustración hecha para el Libro Guía Práctica Hilos PDO

Artista: Vagner Coelho

Septum Temporal
17
BÁSICO

BÁSICO

1 – CONCEPTO EN HILOS PDO

1.3 – COMPOSICIÓN DEL HILO PDO

Los hilos de Polidioxanona tienen efecto bioestimulador cuando utilizamos múltiples hilos, buscando una red de sustentación. Es una fibra quirúrgica, obtenida por la polimerización de monómeros de la paradixanona. Presenta la siguiente formula: C4H6O3.

La síntesis de colágeno empieza entre 10 y 30 días y es totalmente absorbido por un proceso de hidrolisis.

Los resultados de bioestimulación inician generalmente luego de 60-90 días y permanecen por 12 a 18 meses, según el modelo y gramaje del hilo.

El hilo PDO viene insertado en una aguja o cánula, en donde la mitad del hilo queda expuesta hacia afuera y es fijado por una esponja, mientras que la otra mitad se encuentra insertada en la aguja o cánula según la imagen retirada del articulo:

“Outcomes of Polydioxanone Knotless Thread Lifting for Facial Rejuvenation

18
” .

BÁSICO

1 – CONCEPTO EN HILOS PDO

1.3 – COMPOSICIÓN DEL HILO PDO

Una vez introducido en la dermis, el hilo permanece intacto.

Fuente: Medbeauty

Recordar que la esponja nunca debe ser insertada con el hilo.

Ejemplo de un corte de estructura interna de un hilo:

Fuente:

https://deesteticaworld.com/pub/media/productattach/d/e/de_estetic a_ilead_threads_catalogue.pdf

AGUJA BASE
HILO
ESPONJA FIJADORA HILO
19

BÁSICO

1 – CONCEPTO EN HILOS PDO

1.4 – CLASIFICACIÓN POR GRUPO

Podemos dividir los hilos en tres grupos:

1. BIOESTIMULADORES

2. VOLUMINIZADORES O SOLID FILLERS

3. TRACCIÓN - REPOSICIONAMIENTO

1 - BIOESTIMULADORES

Conforman el grupo de los Bioestimuladores los tipos LISOS Y TORNADO. Abajo se observa una ilustración de los dos hilos nombrados.

Hilo Liso y Tornado – Fuente Medbeauty

20

1 – CONCEPTO EN HILOS PDO

1.4 – CLASIFICACIÓN POR GRUPO

2 – VOLUMINIZADORES o SOLID FILLERS

En este grupo se encuentran los hilos Filler, Tuft,

Hilo Matrix y FILLER – Fuente Medbeauty

3 - TRACCIÓN - REPOSICIONAMIENTO

Se encuentran en este grupo los Hilos Espiculados Canulados y en aguja, Sculpt, Mold

A, Mold B, Infinity, Magic y Magic Plus. Hilo MAGIC PLUS e Hilo Sculpt – Fuente Medbeauty

21
BÁSICO

1 – CONCEPTO EN HILOS PDO

1.5 – CLASIFICACIÓN POR MODELO

Los hilos de PDO según el modelo, se clasifican en:

1) LISO, SMOOTH O MONO PDO: monofilamento sin espículas;

2) TWIN: 2 monofilamentos entrelazados entre si;

3) TORNADO O SPRING PDO: monofilamento en espiral;

4) DOBLE TORNADO: 2 monofilamentos en espiral. Uso corporal;

5) FILLER: 10 monofilamentos lisos dentro de una cánula;

6) TUFT: 14 monofilamentos lisos dentro de la cánula

7) ESPICULADO O COG PDO: monofilamento con espículas.

8) ESPICULADO MOLDEADO: PDO con espículas moldeadas a 360°

9) ESPICULADO “BI-AGUJADO”: PDO con dos agujas rectas como guía.

22
BÁSICO

1 – CONCEPTO EN HILOS PDO

1.5 – CLASIFICACIÓN POR MODELO

Las técnicas presentadas en el ebook pueden realizarse con cualquier marca de hilo PDO. Todas las empresas presentan el mismo patrón en sus portafolios: un cuadro en donde la primera columna indica el espesor de la aguja o cánula y la segunda columna corresponde al tamaño de la aguja o cánula, que son los principales parámetros que utilizamos para determinar el hilo que se va a utilizar en el paciente.

En la página siguiente (pág. 26), presento un cuadro de hilos espiculados de la empresa V-Lift Pro, que no está en Brasil, pero podemos identificar las características del espesor (19G, 21G Y 23G), y además el tamaño de la aguja (70 y 90mm).

Las otras columnas, en este caso, se refieren a características del hilo y son informaciones que pueden o no encontrarse en el cuadro, depende de la empresa. Sin embargo, esto no influye directamente en la elección del hilo.

23
BÁSICO

1 – CONCEPTO EN HILOS PDO

1.5 – CLASIFICACIÓN POR MODELO

Independientemente de la empresa, los parámetros para la elección de los hilos son los mismos, por ejemplo:

• Pieles más finas, subcutáneo con menor espesor y zona superciliar, se eligen hilos de 23G a 21G.

• Piel y subcutáneo adecuados: hilos 19G. A su vez, subcutáneo más espeso: hilos 18G..

• Áreas menores como la frente, para elevación de zona

superciliar: cánulas de 60 a 70mm son las ideales.

Mi método muestra que no es necesario aprenderse de memoria los cuadros, y sí aprender a analizar y conocer los principios de los hilos.

24
BÁSICO
Tabela Fios V-Lift ( Sem Anvisa no Brasil ) https://vliftpro.org/vlift-eng-wp-1-0/wp-content/uploads/2021/01/V-LIFT-PRO- -PDO-Threads-Brochure-English.-NOTENSIOpdf.pdf

1 – CONCEPTO EN HILOS PDO

1.5 – CLASIFICACIÓN POR MODELO

MAPA SIMPLIFICADO POR ÁREAS DE APLICACIÓN

Y LOS RESPECTIVOS TIPOS DE HILOS

25
BÁSICO
2HILO LISO, INDICACIONES Y TÉCNICAS https://pay.hotmart.com/B6979162 3Q?off=qbjuqriy Compre la versión completa aquí

2 – HILO LISO, INDICACIONES Y TÉCNICAS

2.1 – CONCEPTOS

Los hilos lisos tienen como función principal la bioestimulación. Pueden ser utilizados en el rostro y en el cuerpo.

Es el hilo más indicado para el párpado inferior.

Existen en diferentes tamaños y pueden ser en aguja o canulados

27
BÁSICO Liso Canulado En aguja

• DOBLE LISO O TWIN : 2 hilos entrelazados entre si

• 27G – 38-50mm

https://deesteticaworld.com/pub/media/productattach/d/e/de_estetica_ilea d_threads_catalogue.pdf

En este grupo se encuentra el doble Liso
Twin,
utilizados
o
pero son poco
en nuestro ámbito.
28
– HILO LISO, INDICACIONES
TÉCNICAS 2.1 – CONCEPTOS BÁSICO
2
Y

2 – HILO LISO, INDICACIONES Y TÉCNICAS

2.2 – HILO LISO POR FABRICANTE

Los Hilos Lisos son suturas lisas sin espículas.

MODELOS MEDBEAUTY/I-THREAD

HD: en aguja, liso sin espículas. Utilizado en el tratamiento de arrugas estáticas con efecto de bioestimulación dérmica en los surcos.

HDTW: en aguja, formado por dos suturas lisas sin espículas. Trata arrugas con mayor producción de matriz extracelular en los surcos.

HDML: en cánula tipo L , sin corte en el bisel, punta roma, sutura lisa sin espículas. Utilizado para llenado de arrugas estáticas con efecto de dermosustentación en los surcos.

ACCIÓN: induce a la estimulación de colágeno, que aumenta la sustentación da piel con leve tracción.

Fuente Medbeauty 29
BÁSICO Liso Canulado En aguja

2 – HILO LISO, INDICACIONES Y TÉCNICAS

2.2 – HILO LISO POR FABRICANTE

La tabla de hilos lisos de Medbeauty/ Ithread: indica gauge y tamaño de la cánula o aguja, y diámetro del hilo. Acuérdese que la hidrólisis está asociada al diámetro del hilo.

Los hilos más utilizados son:

• 30G - 25 - 30mm

• 29G -38- 50mm

• Canulado 30G - 38 - 50mm en párpados inferiores. Disminuyen riesgo de equimosis y hematomas.

30
BÁSICO

2 – HILO LISO, INDICACIONES Y TÉCNICAS

2.2 – HILO LISO POR FABRICANTE

31
BÁSICO

2 – HILO LISO, INDICACIONES Y TÉCNICAS

2.2 – HILO LISO POR FABRICANTE

Los hilos lisos de Medithread se llaman smooth y su tabla indica el gauge de la cánula o aguja, tamaño y medida USP del hilo. Acuérdese que la hidrólisis está asociada al diámetro del hilo.

Los hilos más utilizados son :

• 31G – 25- 30mm

• 29G – 30-50mm

• Canulado 30G-25-30mm en párpados inferiores.

Disminuyen riesgo de equimosis y hematomas.

32
BÁSICO

2 – HILO LISO, INDICACIONES Y TÉCNICAS

2.2 – HILO LISO POR FABRICANTE

Los hilos lisos de Novathreads se llaman smooth y en su tabla se indica el gauge de la cánula o aguja, tamaño y USP del hilo. Acuérdese que la hidrólisis está asociada al diámetro del hilo. Según el fabricante, el hilo smooth de ellos es proyectado para maximizar el espacio dentro de la aguja. Eso permite un hilo más grueso y resulta una mayor tasa de absorción.

Los hilos más utilizados son:

• 31G – 25mm

• 29G – 38mm

33
BÁSICO

2 –HILO LISO, INDICACIONES Y TÉCNICAS

2.3 – INDICACIONES

El hilo liso tiene acción de bioestimulación. Sus resultados son visibles alrededor de los 60 días, y la durabilidad media de resultados es de 6 meses.

Pueden ser realizadas más de una sesión, con intervalos de 20 – 30 días, según la necesidad del paciente.

INDICACIONES:

• Tercio superior: arrugas frontales, glabela, perioculares;

• Párpados Inferiores: hilo de elección para esa área;

• Surcos: Surco Nasogeniano (SNG), Surco

Labiomentoniano (SLM) y Surco Nasoyugal (SNY);

• Arrugas Periorales;

• Malar mounds;

• Jowls y contorno mandibular.

34
BÁSICO

2 –HILO LISO, INDICACIONES Y TÉCNICAS

2.3 – INDICACIONES

En el tercio superior, los hilos tienen una excelente indicación, ya que es una área con pocas alternativas de tratamiento y con riesgo alto para inyectables.

Los hilos más indicados en esa área son hilos pequeños como de 2,5; 3 y 5cm. Pueden ser en aguja o canulados.

Las técnicas de aplicación varían y pueden ser en paralelo, abanico o cruzada.

Es muy importante recordar que el uso de la toxina botulínica previo en esa área, evita irregularidades como extrusión del hilo, por eso la aplicación de la misma está indicada de 7 a 15 días antes de la colocación de los

35
BÁSICO

2 –HILO LISO, INDICACIONES Y TÉCNICAS

2.3 – INDICACIONES

Técnica de aplicación con Dysport® para tratamiento con hilos.

Utilizo esa marca por la rapidez de acción del producto y mayor capacidad de dispersión, disminuyendo las irregularidades con hilos.

Puntos de la Técnica de aplicación con Dysport® para el tratamiento con hilos en el tercio superior

36
BÁSICO

2 –HILO LISO, INDICACIONES Y TÉCNICAS 2.3 – INDICACIONES

• Glabela: son indicados de 5 a 15 hilos lisos, que pueden ser introducidos dentro de las ritides, en abanico o cruzando los hilos en #. Será explicado detalladamente en el capítulo de glabela.

• Frontal son indicados de 10 a 24 hilos en técnicas perpendiculares, paralela a las ritides o dentro de las mismas. En la regla se utiliza el cero para marcar el punto de ingreso y la parte de distancias para la posición de los hilos.

• Periocular son indicados de 5 a 10 hilos por lado, en técnicas de abanico, paralelo o cruzada en #. En esa área se hace el punto de ingreso aproximadamente a 1cm del extremo externo del ojo.

Recomiendo que se aplique la anestesia con vasoconstrictor, porque disminuye equimosis y hematomas, además de ser más cómodo para el paciente.

Anestésicos tópicos pueden ser utilizados.

37
BÁSICO
38 2 – HILO LISO,
2.4 – TÉCNICAS 2.4.1 – TERCIO SUPERIOR BÁSICO Photo 36585372 / Face Front © Valuavitaly | Dreamstime.com
INDICACIONES Y TÉCNICAS

2 – HILO LISO, INDICACIONES Y TÉCNICAS

2.4 – TÉCNICAS

2.4.1 – TERCIO SUPERIOR

Ejemplo de paciente con indicación para Hilos Lisos

Región Frontal

NOTA: Generalmente el hilo que utilizamos en esa región es el 29G- 38mm-50mm. En esta técnica, usted debe poner el cero de la regla en el punto de entrada que determine, y se puede usar la equivalencia de 4cm en la regla para saber hasta donde el hilo va a llegar. Del mismo modo se usa la parte de distancia de la regla para posicionar los hilos.

39
BÁSICO

2 – HILO LISO, INDICACIONES Y TÉCNICAS

2.4 – TÉCNICAS

2.4.1 – TERCIO SUPERIOR

NOTA: En esta técnica, en el cero de la regla se marca el punto de entrada y el tamaño correspondiente de la aguja para indicar el local de llegada del hilo, que sirve como referencia también para la marcación del próximo punto de ingreso.

40
BÁSICO
41 2 – HILO LISO, INDICACIONES Y TÉCNICAS 2.4 – TÉCNICAS 2.4.1 – TERCIO SUPERIOR BÁSICO Compre la versión completa aquí https://pay.hotmart.com/B6979162 3Q?off=qbjuqriy

2 – HILO LISO, INDICACIONES Y TÉCNICAS

2.4

– TÉCNICAS

2.4.1 – TERCIO SUPERIOR

Ejemplo de paciente con indicación para Hilos Lisos en la Región Periocular – 10 hilos

Hilos Indicados: En aguja 30G-25- 30mm o

Canulados 30G -38- 50mm.

NOTA: En esta técnica, se utiliza en la regla el cero para marcar en punto de entrada y el tamaño correspondiente de la aguja para indicar el local de llegada del hilo. A su vez, la parte de distancias de la regla se usa para posicionar los hilos según la distancia adecuada indicada.

42
BÁSICO

2 – HILO LISO, INDICACIONES Y TÉCNICAS

2.4 – TÉCNICAS

2.4.2 – PERIORAL

En esta área está indicado el tratamiento de las arrugas periorales con la ventaja de que no genera un aumento del volumen como los inyectables en general.

Es recomendable utilizar de 5 a 10 hilos en cada lado del labio superior e/o inferior, en técnicas en abanico, y se puede cruzar los hilos para hacer una malla de colágeno.

Los hilos utilizados pueden ser tanto en aguja como canulados de 25mm a 50mm.

En esta técnica usted debe posicionar la equivalencia del tamaño de la aguja antes del filtro y luego marcar el punto de entrada del hilo en el cero de la regla.

43
BÁSICO

2 – HILO LISO, INDICACIONES Y TÉCNICAS

2.4 – TÉCNICAS

2.4.2 – PERIORAL

Ejemplo de paciente con indicación para Hilos Lisos en Región Perioral – 10 hilos. El Hilo más indicado es el modelo 29G- 38 -50mm.

44
BÁSICO

2 – HILO LISO, INDICACIONES Y TÉCNICAS

45
2.4 – TÉCNICAS
BÁSICO
2.4.2 – PERIORAL

2 – HILO LISO, INDICACIONES Y TÉCNICAS

2.4 – TÉCNICAS

2.4.3 – TERCIO MEDIO E INFERIOR

• Surcos: se recomienda utilizar de 5 a 10 hilos por lado, cruzando los surcos, en # o en abanico.

• Malar Mounds: se recomienda hilos lisos en técnica de (#). No se utilizan muchos hilos por sesión, por lo general se usan de 5 a 10 hilos por lado.

• Jowls: se recomienda de 10 a 20 hilos por lado, siempre arriba de la línea mandibular, nunca en la bolsa. Técnicas en # , abanico o paralelo.

46
BÁSICO

2 – HILO LISO, INDICACIONES Y TÉCNICAS

2.4 – TÉCNICAS

2.4.3 – TERCIO MEDIO E INFERIOR

47
BÁSICO

2 – HILO LISO, INDICACIONES Y TÉCNICAS

2.4 – TÉCNICAS

2.4.6 – CUELLO

NOTA: En las técnicas en paralelo, la parte de distancias de la regla sirve para posicionar los hilos de forma adecuada. Se pueden hacer las técnicas cruzadas y en abanico

48
BÁSICO
https://pay.hotmart.com/B6979162 3Q?off=qbjuqriy Compre la versión completa aquí

Turn static files into dynamic content formats.

Create a flipbook
Issuu converts static files into: digital portfolios, online yearbooks, online catalogs, digital photo albums and more. Sign up and create your flipbook.