Manual Prático de Fios - Dra Fernanda Sulzbach

Page 1

MANUAL PRÁTICO DE FIOS

FACIAIS
CORPORAIS 2ª Edição Revisado em (26/01/23) Versão completa disponível em: http://hotm.art/Manual2edicao
TÉCNICAS
E

Sobre a autora

Formada pela Universidade Federal do Rio Grande do Sul (UFRGS).

Residência médica em Cirurgia Geral no Hospital Ernesto Dornelles (HED).

Pós-graduação em Medicina Estética pela Sociedade Brasileira de Medicina Estética (SBME).

Pós-graduação em Nutrologia pela Associação Brasileira de Nutrologia (ABRAN).

Pós-graduação em Administração e Marketing pela Fundação Getúlio Vargas (FGV).

5 ORIENTAÇÕES INICIAIS 08 1 CONCEITOS EM FIOS PDO 11 1.1 INTRODUÇÃO 11 1.2 PLANO DE APLICAÇÃO 15 1.3 COMPOSIÇÃO DO FIO PDO 21 1.4 CLASSICAÇÃO POR GRUPO 23 1.5 CLASSICAÇÃO POR MODELO 25 2 FIO LISO, INDICAÇÕES E TÉCNICAS 32 2.1 CONCEITOS 33 2.2 FIO LISO POR FABRICANTE 35 2.3 INDICAÇÕES 41 2.4 TÉCNICAS 45 2.4.1 TERÇO SUPERIOR 45 2.4.2 PERIORAL 50 2.4.3 TERÇO MÉDIO E INFERIOR 53 2.4.4 TERÇO INFERIOR 55 2.4.5 JOWLS 56 2.4.6 PESCOÇO 57 3 PÁLPEBRAS INFERIORES 59 3.1 CONCEITOS 60 3.2 PLANOS 62 3.3 ZONA DE RISCO 64 3.4 TÉCNICAS 66 4 FIO PARAFUSO, INDICAÇÕES E TÉCNICAS 71 4.1 CONCEITOS 72 4.2 FIO LISO POR FABRICANTE 73 4.3 INDICAÇÕES 77 4.4 TÉCNICAS 79 4.5 TÉCNICAS SUBMENTO 86
6 4.6 TÉCNICAS PESCOÇO 90 4.7 TÉCNICAS COLO 91 4.8 TÉCNICAS ABDOME 92 4.9 TÉCNICAS MEMBROS E PARA ESTRIAS 95 5 FIOS EM GLABELA 100 5.1 CONCEITOS 101 5.2 FIO LISO (CONCEITO, INDICAÇÕES E TÉCNICAS) 102 5.3 FIO PARAFUSO (CONCEITO, INDICAÇÕES E TÉCNICAS) 105 5.4 BIOESTIMULAÇÃO 108 6 FIOS VOLUMIZADORES 110 6.1 FIO FILLER 111 6.2 FIO TUFT 113 6.3 TÉCNICA 114 6.4 FIO COIL 116 6.5 FIO MATRIX 117 6.6 ÁREA DE APLICAÇÃO: COIL E MATRIX 120 7 FIOS ESPICULADOS 121 7.1 CARACTERÍSTICAS DE TRAÇÃO 122 7.2 LIGAMENTOS RETENTORES DA FACE 127 7.3 FIOS ESPICULADOS POR FABRICANTE 128 8 FIOS ESPICULADOS MOLDADOS 134 8.1 ESPÍCULAS CORTADAS VS MOLDADAS 135 8.2 FIOS MOLDADOS POR FABRICANTE 138 8.3 INDICAÇÕES E CONTRAINDICAÇÕES 144 9 FIOS ESPICULADOS MOLDADOS: TÉCNICAS 145 9.1 INDICAÇÕES E TÉCNICAS 146 9.2 SUPERCÍLIO 147 9.3 FOX EYES 152 9.4 BROW LIFT 153
7 9.5 ENTRADA PELO SUPERCÍLIO 154 9.6 TERÇO MÉDIO 157 9.7 TERÇO INFERIOR 161 9.8 SUBMENTO E PESCOÇO 168 10 TÉCNICAS COM NÓ 172 10.1 CONCEITOS 173 10.2 TÉCNICA 174 11 MAGIC PLUS 175 11.1 CONCEITO 176 11.2 TERÇO SUPERIOR: TÉCNICA EM “V” 178 11.3 TERÇO MÉDIO: SULCO NASOLABIAL 182 11.4 TERÇO INFERIOR: SULCO LABIOMENTONIANO E JOWLS 184 11.5 TRATAMENTO COMBINADO FULL FACE 187 11.6 TRATAMENTO PESCOÇO 189 11.7 COMPARATIVO ENTRE FIOS 192 12 ANESTESIA E KIT DE MATERIAL 193 13 CURATIVO E SUA IMPORTÂNCIA 197 13.1 CONCEITO 198 13.2 PÓS-PROCEDIMENTO 200 14 TRATAMENTOS COMBINADOS 204 14.1 FIOS E INJETÁVEIS 205 14.2 TRATAMENTO DE ÁREAS CORPORAIS 209 14.3 FIOS E TECNOLOGIAS (2022) 210 14.4 COMPLEMENTAÇÕES 212 15 NOVIDADES EM FIOS (2022) 214 ORIENTAÇÕES FINAIS 219 BIBLIOGRAFIA 220

1 CONCEITO EM FIOS PDO

1.1 INTRODUÇÃO

A polidioxanona é um monofilamento sintético absorvível, não alergênico e biocompatível. Do nome originou-se sua sigla (PDO).

É um biomaterial que induz a formação de colágeno, elastina, fibroblastos e ácido hialurônico. Sua composição material já é utilizada na Medicina há mais de 30

Fonte: https//portuguese alibaba com/

Tem função principal de bioestimulação, pois estimula fibroblastos a produzir matriz extracelular, aumentando a atividade do colágeno dérmico.

A degradação dos fios é por hidrólise, podendo ocorrer de 3 até 8 meses, conforme o diâmetro do fio. O fio é excretado pela urina e causa baixa reação inflamatória.

11
BÁSICO

1 CONCEITO EM FIOS PDO 1.1 INTRODUÇÃO

Os fios mais finos, como o liso, sofrem hidrólise, em média, em 3 meses, e os mais espessos, como espiculados, em média em 8 meses.

A AÇÃO DOS FIOS NO ORGANISMO PROVOCA:

• NEOCOLAGÊNESE;

• MELHORA DO APORTE VASCULAR;

• FORTALECIMENTO DE SEPTOS;

• RECONEXÃO TECIDUAL;

• REPOSICIONAMENTO DE TECIDOS.

Estudos mostram, com 4 semanas, fibras de colágeno rearranjadas, uma melhora do aporte vascular e colágeno neoformado se conectando ao tecido conectivo preexistente.

12
BÁSICO

1 CONCEITO EM FIOS PDO

1.1 INTRODUÇÃO

Dong Hye Suh, em estudo realizado com 31 pacientes submetidos a tratamento com fios PDO, mostrou em avaliação histólogica uma cápsula fibrosa homogênea ao redor do fio, preservando a tração e a compactação dos tecidos.

No trabalho, foi observado que as papilas dérmicas apresentaram maior espessura, indicando crescimento do componente colágeno intersticial. As melhorias nas rugas e nos poros marcados observados nos pacientes podem ser explicadas por essas alterações na derme. A satisfação do paciente e as avaliações objetivas indicaram escores mais altos na melhoria da textura do que na elevação de tecidos a longo prazo.

13
BÁSICO Gostou? Adquira o ebook no link http://hotm.art/Manual2edicao

BÁSICO

1 CONCEITO EM FIOS PDO 1.2 PLANO DE APLICAÇÃO

O plano de aplicação de qualquer fio é subcutâneo superficial, acima do SMAS, sem riscos de transfixar estruturas importantes desde que se tenha o treinamento adequado. Lembre-se da anatomia do nervo facial e seus ramos.

Existem 3 razões para que o paciente tenha dor ou desconforto na passagem dos fios de sustentação.

1. Plano incorreto: pinçamento da derme, dificuldade de passagem e progressão do fio. Paciente refere dor ou desconforto.

2. Estrutura vascular: rompimento de estrutura vascular. O sangramento gera ardência e desconforto, com alívio rápido. Dores intensas, que não melhoram, desconfie do plano. Mais comum acontecer sangramentos com fios agulhados.

14

1 CONCEITO EM FIOS PDO

1.2 PLANO DE APLICAÇÃO

3. Ligamento zigomático e/ou massetérico: na altura desses ligamentos, alguns pacientes podem referir certo desconforto pela retração existente, o que pode gerar uma certa dificuldade para o profissional durante a progressão da cânula ou agulha.

Essas 3 situações são consideradas normais para o paciente se referir a desconforto, porém sem riscos

Observar:

• Plano incorreto.

• Estrutura vascular.

• Ligamento zigomático e/ou massetérico.

15
BÁSICO

1 CONCEITO EM FIOS PDO 1.2 PLANO DE APLICAÇÃO

Ramo Frontal

Ilustração feita para o livro Manual Prático Fios PDO.

Artista: Vagner Coelho.

16
BÁSICO
Artéria Temporal Superficial

DE APLICAÇÃO

17
BÁSICO
1 CONCEITO EM FIOS PDO 1.2 PLANO
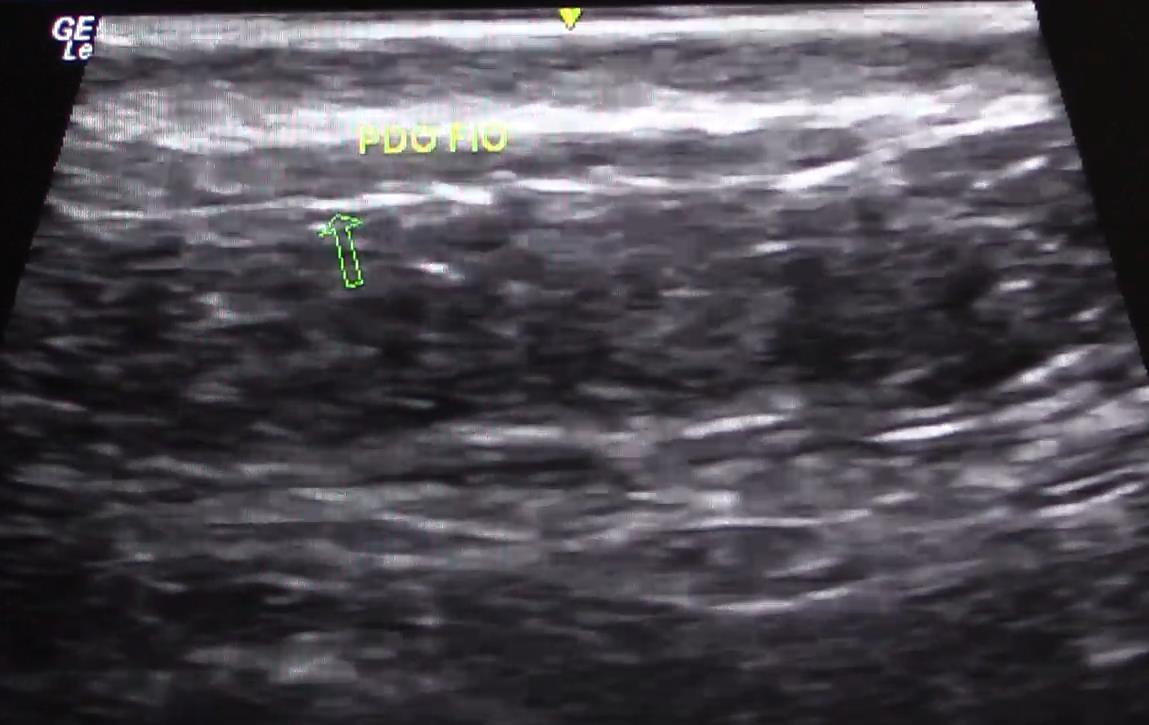
CÂNULA
DISTÂNCIA DA DERME 3mm Representação de plano de aplicação com fio canulado. Fonte: Ultrassom realizado pela Dra. Cristiane Ribeiro, radiologista e dermatologista.
18 1 CONCEITO EM FIOS PDO
PLANO
BÁSICO
1.2
DE APLICAÇÃO
Gostou? Adquira o ebook no link http://hotm.art/Manual2edicao
Fonte: Ultrassom realizado pela Dra. Cristiane Ribeiro.

1 CONCEITO EM FIOS PDO

1.2 PLANO DE APLICAÇÃO (LIGAMENTOS)

Artista: Vagner Coelho.

Septo temporal

Ligamento tear trough

Ligamento cutâneo zigomático

Ligamento cutâneo massetérico

Ilustração feita para o livro Manual Prático Fios PDO.
14
BÁSICO

BÁSICO

1 CONCEITO EM FIOS PDO

1.3 COMPOSIÇÃO DO FIO PDO

Os fios de polidioxanona têm efeito bioestimulador quando utilizamos múltiplos fios, buscando uma rede de sustentação. É uma fibra cirúrgica, obtida pela polimerização de monômeros da paradioxanona. Apresenta a seguinte fórmula: C4H6O3.

A síntese de colágeno se inicia entre 10 e 30 dias, e ele é totalmente absorvido por um processo de hidrólise.

Os resultados de bioestimulação se iniciam em média entre 60 e 90 dias e permanecem por 12 a 18 meses, conforme o modelo e a gramatura do fio.

O fio PDO vem inserido em uma agulha ou cânula, em que metade do fio fica exposto para fora e é fixado por uma esponja, e a outra metade inserida na agulha ou cânula, conforme a figura retirada do artigo

“Outcomes of Polydioxanone Knotless Thread Lifting for Facial Rejuvenation”.

15
Fonte: Instituto Lapidare

1 CONCEITO EM FIOS PDO

1.3 COMPOSIÇÃO DO FIO PDO

Ao ser introduzido na derme, o fio permanece intacto.

Fonte: MedBeauty

Lembre-se de que a esponja nunca deve ser inserida com o fio.

fio:

Exemplo de um corte da estrutura interna de um

Fonte: https://deesteticaworld.com/pub/media/productattach/d/e/de_estetica_ilead_thread s_catalogue.pdf.

FIO AGULHA BASE ESPONJA FIXADORA FIO
16
BÁSICO

BÁSICO

1 CONCEITO EM FIOS PDO 1.4 CLASSIFICAÇÃO POR GRUPO

Podemos dividir os fios em três classes:

1. BIOESTIMULADORES;

2. VOLUMIZADORES OU SOLID FILLERS;

3. TRAÇÃO/REPOSICIONAMENTO.

1) BIOESTIMULADORES

Compõem o grupo dos bioestimuladores os tipos LISOS E PARAFUSO. Abaixo, uma ilustração dos tipos citados.

Fios liso e parafuso. Fonte: MedBeauty.

17

BÁSICO

1 CONCEITO EM FIOS PDO 1.4 CLASSIFICAÇÃO POR GRUPO

2) VOLUMIZADORES ou SOLID FILLERS

Neste grupo, consideramos os fios filler, tuft, coil e matrix

.

3) TRAÇÃO/REPOSICIONAMENTO

Estão nesta categoria os fios espiculados canulados e agulhados, sculpt, mold A, mold B, infinity, magic e magic plus.

Fios matrix e filler. Fonte: MedBeauty.
18
Fios magic plus e sculpt. Fonte: MedBeauty.

BÁSICO

1 CONCEITO EM FIOS PDO 1.5 CLASSIFICAÇÃO POR MODELO

Os fios PDO, quanto ao modelo, classificam-se em:

1) LISO, SMOOTH OU MONO PDO: monofilamento sem espículas.

2) TWIN: 2 monofilamentos enrolados entre si.

3) PARAFUSO OU SPRING PDO: monofilamento em espiral.

4) DUPLO PARAFUSO: 2 monofilamentos em espiral. Uso corporal.

5) FILLER: 10 monofilamentos lisos dentro de uma cânula.

6) TUFT: 14 monofilamentos lisos dentro da cânula.

7) ESPICULADO OU COG PDO: monofilamento com espículas.

8) ESPICULADO MOLDADO: PDO com espículas moldadas a 360°.

9) ESPICULADO BIAGULHADO: PDO com duas agulhas retas como guia.

19

BÁSICO

1 CONCEITO EM FIOS PDO

1.5 CLASSIFICAÇÃO POR MODELO

As técnicas apresentadas neste livro podem ser replicadas com qualquer marca de Fio PDO. Todas as empresas apresentam o mesmo padrão em seus portifólios: uma tabela onde a primeira coluna traz a espessura da agulha ou cânula e a segunda coluna o tamanho da agulha ou cânula, que são os principais parâmetros que utilizamos para definir o fio a ser utilizado no paciente.

Na próxima página (pag. 26), apresento uma tabela de fios espiculados da empresa V–Lift Pro, que não tem no Brasil, porém podemos identificar as características da espessura (19G, 21G E 23G), bem como o tamanho da agulha (70 e 90 mm).

As outras duas colunas, neste caso, se referem a características do fio e são informações que podem ou não constar na tabela, dependendo da empresa, porém não interferem diretamente na escolha do fio.

20

1.5 CLASSIFICAÇÃO POR MODELO

-PDO-Threads-Brochure-English.-NO-TENSIOpdf.pdf

Independente da empresa, os parâmetros para escolha de fios são os mesmos, por exemplo:

• Peles mais finas, subcutâneo menos espesso e supercílio optamos por fios de 23G a 21G.

• Pele e subcutâneo normais a mais espessos , fios 19G. Já subcutâneo mais espesso, fios 18G.

• Áreas menores como fronte, para elevação de supercílio, as cânulas de 60 a 70mm são as ideais.

O método mostra que não há necessidade de decorar tabelas e sim aprender analisar e conhecer os princípios dos fios.

21 1 CONCEITO EM FIOS
PDO
BÁSICO
Tabela Fios V-Lift ( Sem Anvisa no Brasil ) https://vliftpro.org/vlift-eng-wp-1-0/wpcontent/uploads/2021/01/V-LIFT-PRO-

Gostou? Adquira o ebook no link

http://hotm.art/Manual2edicao

MAPA SIMPLIFICADO POR ÁREAS DE APLICAÇÃO

E OS RESPECTIVOS TIPOS DE FIOS.

22 1 CONCEITO EM FIOS PDO
BÁSICO
1.5 CLASSIFICAÇÃO POR MODELO

1 CONCEITO EM FIOS PDO

1.5 CLASSIFICAÇÃO POR MODELO

O fio com garras unidirecionais sem ponto fixo não tem como principal função a tração. Eles melhoram a oxigenação, perfusão tecidual e promovem uma síntese de colágeno que se inicia antes e permanece por mais tempo, o que proporciona resultados melhores e mais duradouros.

Da mesma forma, os fios twin, spring ou parafuso têm essa configuração para induzir maior produção de colágeno e reação inflamatória em torno do fio.

As empresas de fios PDO disponíveis no Brasil, até o momento da edição, são:

• I-Thread/MedBeauty

• Vida Bela/PDO Filbloc

• Croquís

• MEDiTHREAD

• NovaThreads

• Amabella

23
BÁSICO

BÁSICO

1 CONCEITO EM FIOS PDO

1.5 CLASSIFICAÇÃO POR MODELO

A seguir as embalagens dos fios disponíveis no Brasil, conforme fabricante:

24

BÁSICO

1 CONCEITO EM FIOS PDO

1.5 CLASSIFICAÇÃO POR MODELO

A seguir as embalagens dos fios disponíveis no Brasil, conforme fabricante:

Os modelos dos Fios Amabella, estão descritos no capítulo 15 desta edição.

25

2 FIO LISO, INDICAÇÕES E TÉCNICAS

2 FIO LISO, INDICAÇÕES E TÉCNICAS

2.1 CONCEITOS

Os fios lisos têm como função principal a bioestimulação. Podem ser utilizados em face e corpo.

É o fio mais indicado para a pálpebra inferior.

Existem em diferentes tamanhos e podem ser agulhados ou canulados.

27
BÁSICO

2 FIO LISO, INDICAÇÕES E TÉCNICAS

2.1 CONCEITOS

Há ainda o duplo liso ou twin, pouco utilizado no nosso meio.

• DUPLO LISO OU TWIN: 2 fios envoltos entre eles.

• 27G: 38-50 mm.

Fonte: https://deesteticaworld.com/pub/media/productatt ach/d/e/de_estetica_ilead_threads_catalogue.pdf

28
BÁSICO

2 FIO LISO, INDICAÇÕES E TÉCNICAS

2.2 FIO LISO POR FABRICANTE

Os fios lisos são suturas lisas sem espículas.

MODELOS MEDBEAUTY/I-THREAD

HD: em agulha, liso sem espículas.

Tratamento de rugas estáticas com efeito de bioestimulação dérmica nos sulcos.

HDTW: em agulha, duas suturas lisas sem espículas. Trata rugas com maior produção de matriz extracelular nos sulcos.

HDML: em cânula tipo L, sem corte no bisel, ponta romba, sutura lisa sem espículas. Preenchimento de rugas estáticas com efeito de dermossustentação nos sulcos.

AÇÃO: induz o estímulo de colágeno, que aumenta a sustentação da pele com leve tracionamento.

Fonte: MedBeauty.

29
BÁSICO

2 FIO LISO, INDICAÇÕES E TÉCNICAS

2.2 FIO LISO POR FABRICANTE

A tabela de fios lisos da MedBeauty/I-Thread: especifica gauge e tamanho da cânula ou agulha e diâmetro do fio. Lembre-se de que a hidrólise está ligada ao diâmetro do fio.

Os fios mais utilizados são:

• 30G-25mm

• 29G- 38mm.

• Canulado 30G-38mm em pálpebras

inferiores. Diminuem risco de equimoses e hematomas.

30
BÁSICO

2 FIO LISO, INDICAÇÕES E TÉCNICAS

2.2 FIO LISO POR FABRICANTE

31
BÁSICO

2 FIO LISO, INDICAÇÕES E TÉCNICAS

2.2 FIO LISO POR FABRICANTE

Os fios lisos da MEDiTHREAD são chamados smooth e sua tabela especifica o gauge da cânula

ou agulha, tamanho e medida USP do fio. Lembrese de que a hidrólise está ligada ao diâmetro do fio.

Os fios mais utilizados são:

• 31G-25 mm.

• 29G-30 mm.

• Canulado 30G- 25mm mm pode ser utilizado com o intuito de diminuir risco de equimoses e hematomas.

32
BÁSICO

2 FIO LISO, INDICAÇÕES E TÉCNICAS

2.2 FIO LISO POR FABRICANTE

Os fios lisos da NovaThreads são chamados smooth e, na tabela, especifica gauge da cânula ou agulha, tamanho e USP do fio. Lembre-se de que a hidrólise está ligada ao diâmetro do fio. Segundo a fabricante, o fio smooth é projetado para maximizar o espaço dentro da agulha. Isso permite um fio mais grosso e resulta em uma maior taxa de absorção.

Os fios mais utilizados são:

• 31G- 25 mm.

• 29G - 38 mm.

33
BÁSICO

2 FIO LISO, INDICAÇÕES E TÉCNICAS

2.3 INDICAÇÕES

O fio liso tem ação de bioestimulação. Seus resultados são visíveis por volta de 60 dias, e tem durabilidade média de resultados de 6 meses.

Pode ser realizada mais de uma sessão, com intervalos de 20 a 30 dias, conforme necessidade do paciente.

INDICAÇÕES:

• Terço superior: rugas frontais, glabela, perioculares.

• Pálpebras inferiores: fio de escolha para essa área.

• Sulcos: Sulco nasogeniano (SNG), Sulco labiomentoniano (SLM) e Sulco nasojugal (SNJ).

• Rugas periorais.

• Malar mounds.

• Jowls e contorno mandibular.

34
BÁSICO

2 FIO LISO, INDICAÇÕES E TÉCNICAS

2.3 INDICAÇÕES

No terço superior, os fios têm uma excelente indicação, já que é uma região com poucas alternativas de tratamento e com risco alto para injetáveis.

Os fios mais indicados nessa região são fios pequenos de 25 a 40mm. Podem ser agulhados ou canulados.

As técnicas de aplicação variam e podem ser em paralelo, leque ou cruzada.

Importante lembrar de que o uso da toxina botulínica prévia nessa região evita intercorrências como extrusão do fio, por isso, a aplicação da mesma está indicada de 7 a 15 dias antes da colocação dos fios.

35
BÁSICO

2 FIO LISO, INDICAÇÕES E TÉCNICAS

2.3 INDICAÇÕES

Técnica de aplicação com o Dysport® para tratamento com fios.

Utilizo essa marca pela rapidez de ação do produto e capacidade maior de dispersão, diminuindo as intercorrências com fios.

Gostou? Adquira o ebook no link

http://hotm.art/Manual2edicao

Pontos da técnica de aplicação com o Dysport® para tratamento com fios no terço superior

36
BÁSICO

2 FIO LISO, INDICAÇÕES E TÉCNICAS

2.3 INDICAÇÕES

• Na glabela, são indicados de 5 a 15 fios lisos, que podem ser colocados dentro das rítides, em leque ou ainda cruzando os fios em #. Será abordado de forma detalhada no capítulo de glabela.

• No frontal, são indicados de 10 a 30 fios em técnicas perpendiculares, paralela às rítides ou ainda dentro delas. Na régua de marcação, utilizar o zero para marcação do ponto de entrada e a parte de distâncias para o posicionamento dos fios.

• No periocular, são indicados de 5 a 10 fios por lado, em técnicas de leque, paralelo ou ainda cruzada em #. Nessa área, fazer o ponto de entrada em média a 1 cm do canto externo do olho.

Nessas áreas , podem ser realizadas mais sessões , caso necessário, com intervalo de 20 – 30 dias.

Indico realizar o botão anestésico com vasoconstritor, pois diminui equimoses e hematomas, além de ser mais confortável para o paciente.

Anestésicos tópicos podem ser utilizados.

37
BÁSICO

2 FIO LISO, INDICAÇÕES E TÉCNICAS

2.4 TÉCNICAS

2.4.1 TERÇO SUPERIOR

38
BÁSICO
Fonte: Photo 36585372 / Face Front © Valuavitaly | Dreamstime.com.

2 FIO LISO, INDICAÇÕES E TÉCNICAS

2.4 TÉCNICAS

2.4.1 TERÇO SUPERIOR

NOTA: Nessa técnica, com a régua no zero, marque o ponto de entrada e o tamanho correspondente da agulha para marcar o local de chegada do fio, o que serve como referência também para a marcação do próximo pronto de entrada.

39
BÁSICO
40 2 FIO LISO, INDICAÇÕES E TÉCNICAS
TÉCNICAS
TERÇO SUPERIOR BÁSICO Gostou? Adquira o ebook no link http://hotm.art/Manual2edicao
2.4
2.4.1

2 FIO LISO, INDICAÇÕES E TÉCNICAS

2.4 TÉCNICAS

2.4.1 TERÇO SUPERIOR

Exemplo de paciente com indicação para fios lisos em região periocular, 10 fios.

Fios indicados: agulhados 31/30G-25mm ou

canulados 30G -38mm.

NOTA: Nessa técnica, com a régua no zero, marque o ponto de entrada e o tamanho correspondente da agulha para marcar o local de chegada do fio. Use a parte de distâncias da régua para posicionar os fios na distância adequada indicada.

41
BÁSICO

2 FIO LISO, INDICAÇÕES E TÉCNICAS

2.4 TÉCNICAS

2.4.2 PERIORAL

Nessa área, está indicado no tratamento das rugas periorais com a vantagem de não fazer volume como os injetáveis em geral.

Estão indicados de 5 a 10 fios em cada lado do lábio superior e/ou inferior, em técnicas em leque, podendo cruzar os fios para fazer uma malha de colágeno.

Os fios utilizados podem ser tanto agulhados como canulados . Fios indicados: 31/30G -25mm.

30G – 40mm, 29G – 38mm.

Nessa técnica, você posiciona a equivalência do tamanho da agulha antes do filtro e marca o ponto de entrada do fio no zero da régua.

42
BÁSICO

43

2 FIO LISO, INDICAÇÕES E TÉCNICAS

2.4 TÉCNICAS

2.4.2 PERIORAL

Exemplo de paciente com indicação para fios lisos em região perioral, 10 fios. Os fios indicados:

31/30G – 25mm ou 29G – 38mm.

BÁSICO

2 FIO LISO, INDICAÇÕES E TÉCNICAS

2.4 TÉCNICAS

2.4.2 PERIORAL

44
BÁSICO

2 FIO LISO, INDICAÇÕES E TÉCNICAS

2.4 TÉCNICAS

2.4.3 TERÇO MÉDIO E INFERIOR

• Sulcos: são indicados de 5 a 10 fios por lado, cruzando os sulcos, em # ou leque, por sessão.

• Malar mounds: indicados os fios lisos em técnica de #. Não muitos fios por sessão, de 5 a 10 fios por lado.

• Jowls: são indicados 10 a 20 fios por lado, sempre acima da linha mandibular, nunca na bolsa. Técnicas em #, leque ou paralelo.

45
BÁSICO

2.4.3

2.4

46 2 FIO LISO, INDICAÇÕES E TÉCNICAS
TÉCNICAS
TERÇO MÉDIO
INFERIOR BÁSICO Gostou? Adquira o ebook no link http://hotm.art/Manual2edicao
E

2 FIO LISO, INDICAÇÕES E TÉCNICAS

2.4 TÉCNICAS

2.4.4 TERÇO INFERIOR

47
BÁSICO
Fonte: Photo 30401322 / Face © Valuavitaly | Dreamstime.com.

2 FIO LISO, INDICAÇÕES E TÉCNICAS

2.4 TÉCNICAS

2.4.5 JOWLS

NOTA: Nas técnicas #, a parte de distâncias da régua serve para posicionar os fios de forma adequada.

48
BÁSICO

2 FIO LISO, INDICAÇÕES E TÉCNICAS

2.4 TÉCNICAS

2.4.6 PESCOÇO

Adquira o ebook no link, o mundo dos Fios te espera!!

http://hotm.art/Manual2edicao

NOTA: Nas técnicas em paralelo, a parte de distâncias da régua serve para posicionar os fios de forma adequada. Podem ser feitas técnicas cruzadas e em leque. Fios sugeridos: 30G – 40mm ou 29G – 38mm.

49
BÁSICO

Turn static files into dynamic content formats.

Create a flipbook
Issuu converts static files into: digital portfolios, online yearbooks, online catalogs, digital photo albums and more. Sign up and create your flipbook.