CU2025-3_listovacka

Page 1


CZECH UROLOGY

Časopis České urologické společnosti ČLS JEP

Modelování lidské ledviny in vitro

Penilní rehabilitace po radikální prostatektomii

Náhodný nález karcinomu prostaty při výkonu pro BPH

Histologické nálezy u kompletně zdvojené ledviny po heminefrektomii

Pozitivní chirurgické okraje u resekcí ledvin

Prognostické modely pro odoperovaný renální karcinom

Obsah

Editorial

Marcel Drlík

PŘEHLEDOVÝ ČLÁNEK

Modelování lidské ledviny in vitro – potenciál renálních organoidů

131 a tubuloidů pro urologii

Modeling human kidney in vitro – the potential of renal organoids and tubuloids for urology

Viktória Filipková, Tomáš Pelikán, Roman Zachoval, Petr Heneberg

Penilní rehabilitace po radikální prostatektomii

Penile rehabilitation after radical prostatectomy

Marek Broul, Aneta Hujová

Náhodný nález karcinomu prostaty při výkonu

141

146 pro benigní hyperplazii prostaty – jak postupovat?

Incidental finding of prostate cancer during surgery for benign prostatic hyperplasia – how to proceed?

Peter Polaček, Otakar Čapoun, Martin Malý, Filip Vlček, Alžběta Kantorová, Viktor Soukup

PŮVODNÍ PRÁCE

Pozitivní chirurgické okraje u renálních malignit po záchovných operacích

152 ledvin – výsledky monocentrické retrospektivní analýzy

Positive surgical margins in renal malignancies after nephron-sparing surgery – results of a single-centre retrospective analysis

Rostyslav Luzan, Petr Klézl, Jindřích Šonský, Jakub Hanych, Robert Grill

Zhodnocení onkologických výsledků pomocí prognostických modelů

158 u pacientů operovaných pro renální karcinom – zkušenosti jednoho pracoviště

Evaluation of oncological outcomes using prognostic models in patients operated on for renal cancer – experience from a single center

Marek Kašík, Michal Fedorko

Histologické nálezy u kompletně zdvojené ledviny

164 a močovodu po heminefrektomii

Histological findings in a completely duplicated kidney and ureter after heminephrectomy

Martina Košudová, Minh Nguyet Tranová, Pavel Navrátil, Miroslav Podhola, Ivo Novák

INFORMACE

Komplexní novinky v onkourologii – KNOU 2025

Comprehensive news in oncourology – KNOU 2025

Tereza Zdobinská

Czech Urology Boot Camp 2025

Czech Urology Boot Camp 2025

Kateřina Dušková, Michaela Dvořáková

171

173

Přípravek Veoza – užívaný jednou denně – je indikován k léčbě středně silných až silných vazomotorických symptomů (VMS) souvisejících s menopauzou.1

Jak přípravek Veoza působí?

ZABOJUJTE s OHNĚM

NEHORMONÁLNÍM PŘÍPRAVKEM VEOZA 1

Před menopauzou existuje rovnováha mezi estrogenními hormony a bílkovinou zvanou neurokinin B, která řídí centrum pro kontrolu tělesné teploty v mozku. Když tělo prochází menopauzou, hladiny estrogenů klesají a tato rovnováha je narušena, což může vést k vazomotorickým příznakům.1,2

Přípravek Veoza – první nehormonální selektivní antagonista NK3R blokuje neurokinin B v navázání se na jeho cíle v mozku, čímž snižuje počet návalů horka a nočního pocení a jejich intenzitu.1,2

NK3R: neurokininový receptor 3. 1. SPC Veoza. 2. Veoza: EPAR – medicine overview; reference number: EMA/482166/2023 (https://www.ema.europa.eu/cs/documents/overview/veoza-epar-medicine-overview_cs.pdf).

ZKRÁCENÁ INFORMACE O PŘÍPRAVKU Veoza (fezolinetant)

Složení: Jedna potahovaná tableta obsahuje 45 mg fezolinetantu. Indikace: Přípravek Veoza je indikován k léčbě středně silných až silných vazomotorických symptomů (VMS) souvisejících s menopauzou. Dávkování a způsob podání: Doporučená dávka přípravku je 45 mg jednou denně. Přípravek Veoza se podává perorálně jednou denně přibližně ve stejnou dobu s jídlem nebo bez jídla a zapíjí se tekutinami. Tablety se polykají celé a nesmí se rozlamovat, drtit ani žvýkat. Kontraindikace: Hypersenzitivita na léčivou látku nebo na kteroukoli pomocnou látku. Současné užívání středně silných nebo silných inhibitorů CYP1A2. Prokázané nebo suspektní těhotenství. Zvláštní upozornění a opatření pro použití: Lékařské vyšetření / konzultace lékaře: Před zahájením nebo obnovením léčby přípravkem Veoza musí být provedena pečlivá diagnostika a zjištěna kompletní anamnéza (včetně rodinné anamnézy). Během léčby musí být prováděny pravidelné kontroly v souladu se standardní klinickou praxí. Onemocnění jater: Přípravek Veoza se nedoporučuje používat u jedinců s chronickou poruchou funkce jater třídy B (středně těžká) nebo C (těžká). Do klinických hodnocení účinnosti a bezpečnosti s fezolinetantem nebyly zahrnuty ženy s aktivním onemocněním jater ani chronickou poruchou funkce jater třídy B (středně těžká) či C (těžká) dle Childa a Pugha a tuto informaci nelze spolehlivě extrapolovat. Farmakokinetika fezolinetantu byla hodnocena u žen s chronickou poruchou funkce jater třídy A (lehká) a B (středně těžká) dle Childa a Pugha. Polékové poškození jater (DILI): Zvýšení sérových hladin alaninaminotransferázy (ALT) a sérových hladin aspartátaminotransferázy (AST) nejméně na 3násobek horní hranice normálních hodnot (ULN) bylo pozorováno u žen léčených fezolinetantem včetně závažných případů se zvýšeným celkovým bilirubinem a příznaky naznačujícími poškození jater. Zvýšené hodnoty jaterních testů (LFT) a příznaky naznačující poškození jater byly obecně reverzibilní při ukončení léčby. LFT musí být provedeny před zahájením léčby fezolinetantem. Léčba nemá být zahájena, pokud ALT nebo AST je ≥ 2x ULN nebo pokud celkový bilirubin je zvýšený (např. ≥ 2x ULN). LFT musí být provedeny každý měsíc během prvních tří měsíců léčby, poté na základě klinického uvážení. LFT musí být rovněž provedeny, pokud se vyskytnou příznaky naznačující poškození jater. Léčba má být ukončena v následujících případech: zvýšení hladin aminotransferáz ≥ 3x ULN spolu s celkovým bilirubinem > 2x ULN NEBO s příznaky poškození jater, zvýšení hladin aminotransferáz > 5x ULN. Monitorování funkce jater má pokračovat, dokud se jejich hodnoty neznormalizují. Pacientky mají být informovány o známkách a příznacích poškození jater a mají být upozorněny, aby se při jejich výskytu okamžitě obrátili na svého lékaře. Prokázané nebo předchozí maligní nádorové onemocnění prsu nebo maligní estrogen dependentní onemocnění: V klinických hodnoceních nebyly zahrnuty ženy v současnosti podstupující onkologickou léčbu (např. chemoterapii, radiační terapii, antihormonální léčbu) maligního nádorového onemocnění prsu nebo jiného maligního estrogen dependentního onemocnění. Přípravek Veoza se proto nedoporučuje používat u této populace, protože jeho bezpečnost a účinnost nejsou známy. V klinických hodnoceních nebyly zahrnuty ženy s předchozím maligním karcinomem prsu nebo jinými estrogen dependentními malignitami, a které již nepodstupovaly žádnou onkologickou léčbu. Rozhodnutí, zda takovou ženu léčit přípravkem Veoza, má vycházet z individuálního posouzení přínosů a rizik pro konkrétní ženu. Současné užívání hormonální estrogenové substituční léčby (s výjimkou lokálních vaginálních přípravků): Současné užívání fezolinetantu a hormonální substituční léčby s estrogeny nebylo hodnoceno, a proto se současné užívání nedoporučuje. Záchvaty křečí a jiné křečové poruchy: Užívání fezolinetantu nebylo hodnoceno u žen se záchvaty křečí nebo jinými křečovými poruchami v anamnéze. Během klinických hodnocení nebyly zaznamenány žádné případy záchvatů křečí nebo jiných křečových poruch. Rozhodnutí, zda tyto pacientky léčit přípravkem Veoza, má vycházet z individuálního posouzení přínosů a rizik pro konkrétní pacientku. Interakce: Účinek jiných léčivých přípravků na fezolinetant: Inhibitory CYP1A: Fezolinetant je primárně metabolizován CYP1A2 a v menší míře enzymy CYP2C9 a CYP2C19. Současné užívání fezolinetantu s léčivými přípravky, které jsou středně silnými či silnými inhibitory CYP1A2 (např. antikoncepční přípravky obsahující ethinylestradiol, mexiletin, enoxacin, fluvoxamin), zvyšuje plazmatickou hodnotu Cmax a AUC fezolinetantu. Současné užívání středně silných či silných inhibitorů CYP1A2 s přípravkem Veoza je kontraindikováno. Současné podávání s fluvoxaminem, silným inhibitorem CYP1A2, vedlo k celkovému 1,8násobnému zvýšení Cmax fezolinetantu a 9,4násobnému zvýšení hodnoty AUC; nebyly pozorovány žádné změny tmax. Vzhledem k velkému účinku silného inhibitoru CYP1A2 a podpůrnému modelování se očekává, že zvýšení koncentrací fezolinetantu bude klinicky významné i při současném užívání se středně silnými inhibitory CYP1A2 (viz bod 4.3). Nelze odvodit, že je zvýšení expozice fezolinetantu klinicky relevantní po současném užití se slabými inhibitory CYP1A2. Induktory CYP1A2: Kouření (středně silný induktor CYP1A2) snížilo podíl Cmax fezolinetantu ke geometrickému průměru nejmenších čtverců (LS) na 71,74 %, zatímco podíl hodnoty AUC ke geometrickému průměru nejmenších čtverců LS se snížil na 48,29 %. Údaje týkající se účinnosti nevykazovaly významné rozdíly mezi kuřáky a nekuřáky. U kuřáků se nedoporučuje žádná úprava dávky. Fertilita, těhotenství a kojení: Přípravek Veoza je v těhotenství kontraindikován. Pokud během užívání přípravku Veoza dojde k otěhotnění, léčbu je nutno okamžitě ukončit. Perimenopauzální ženy ve fertilním věku musí používat účinnou antikoncepci. Přípravek Veoza není indikován v období kojení. Nejsou k dispozici žádné údaje o vlivu fezolinetantu na lidskou fertilitu. Ve studii zaměřené na fertilitu u samic potkanů neměl fezolinetant vliv na fertilitu. Nežádoucí účinky: Tabulkový přehled nežádoucích účinků: Bezpečnost fezolinetantu byla hodnocena v klinických studiích fáze 3 u 2 203 žen s VMS souvisejícími s menopauzou, které dostávaly fezolinetant jednou denně. Nežádoucí účinky pozorované v průběhu klinických studií a ze spontánních hlášení jsou uvedeny níže v kategoriích podle frekvence pro jednotlivé třídy orgánových systémů. Kategorie frekvence jsou definovány následovně: velmi časté (≥ 1/10), časté (≥ 1/100 až < 1/10), méně časté (≥ 1/1 000 až < 1/100), vzácné (≥ 1/10 000 až < 1/1 000), velmi vzácné (< 1/10 000) a není známo (z dostupných údajů nelze určit). Nežádoucí účinky fezolinetantu v dávce 45 mg: Psychiatrické poruchy – časté – insomnie, Gastrointestinální poruchy – časté – průjem, bolest břicha, Poruchy jater a žlučových cest – časté – zvýšená hladina alaninaminotransferázy (ALT), zvýšená hladina aspartátaminotransferázy (AST)*, není známo - polékové poškození jater (DILI)*. *Popis vybraných nežádoucích účinků: Zvýšená ALT / zvýšená AST/DILI: V klinických hodnoceních došlo ke zvýšení hladin ALT > 3x ULN u 2,1 % žen dostávajících fezolinetant ve srovnání s 0,8 % žen dostávajících placebo. Zvýšení hladin AST > 3x ULN se vyskytlo u 1,0 % žen dostávajících fezolinetant ve srovnání s 0,4 % žen užívajících placebo. Závažné případy se zvýšenými hladinami ALT a/nebo AST (> 10x ULN) doprovázené současným zvýšením bilirubinu a/nebo alkalické fosfatázy (ALP) byly hlášeny po uvedení léčivého přípravku na trh. V některých případech byly zvýšené hodnoty jaterních testů spojené se známkami a příznaky naznačujícími poškození jater, jako je únava, pruritus, ikterus, tmavá moč, světlá stolice, nauzea, zvracení, snížená chuť k jídlu a/nebo bolest břicha. Hlášení podezření na nežádoucí účinky: Hlášení podezření na nežádoucí účinky po registraci léčivého přípravku je důležité. Umožňuje to pokračovat ve sledování poměru přínosů a rizik léčivého přípravku. Žádáme zdravotnické pracovníky, aby hlásili podezření na nežádoucí účinky prostřednictvím národního systému hlášení nežádoucích účinků na adresu: Státní ústav pro kontrolu léčiv; Šrobárova 48; 100 41 Praha 10; webové stránky: www.sukl.cz/nahlasit-nezadouci-ucinek. Zvláštní opatření pro uchovávání: Žádné zvláštní podmínky pro uchovávání. Držitel rozhodnutí o registraci: Astellas Pharma Europe B.V. Sylviusweg 62, 2333 BE Leiden, Nizozemsko. Registrační číslo: EU/1/23/1771/001, EU/1/23/1771/002, EU/1/23/1771/003, EU/1/23/1771/004. Datum revize textu: 21.03.2025. Před předepsáním se seznamte s úplnou informací o léčivém přípravku. Přípravek Veoza je vázán na lékařský předpis a není hrazen z prostředků veřejného zdravotního pojištění.

05/2025 | MAT-CZ-VEO-2025-00005

Astellas Pharma s.r.o., Rohanské nábřeží 678/29 186 00 Praha 8 – Karlín, www.astellas.com/cz

Editorial

Vážení čtenáři, přichází k vám další číslo České urologie a je pro mne velkou ctí, že jsem byl osloven k němu napsat úvodník. Chtěl bych využít této příležitosti, abych vám představil současný stav české dětské urologie a krátce se zamyslel nad výzvami, které stojí před námi.

I když v České republice dochází v posledních 3 letech k významnému meziročnímu poklesu počtu narozených dětí, díky imigraci celkový počet dětí významně neklesá. Na konci roku 2022 bylo dle údajů Českého statistického úřadu v populaci Česka celkem 1,75 mil. dětí mladších 15 let a tvořily 16,2 % všech obyvatel. Kompetenci léčit urologická onemocnění této významné skupiny populace mají lékaři více oborů. Kromě urologů (u dětí starších 3 let) se na péči podílejí dětští chirurgové a dětští urologové. Také řada dětských nefrologů pečuje o děti s funkčními poruchami dolních močových cest, pomáhají urologům s konzervativním sledováním obstrukčních uropatií či s metafylaxí dětské urolitiázy.

Přesto hlavní tíha péče o dětské pacienty s urologickými onemocněními leží na stávajících devíti pracovištích dětské urologie, které se nalézají ve Fakultní nemocnici Motol, Thomayerově nemocnici a Všeobecné fakultní nemocnici v Praze, dále pak ve fakultních nemocnicích v Hradci Králové, Brně, Olomouci, Plzni, Ostravě a v krajské nemocnici v Českých Budějovicích. Specializované ambulance dětské urologie malého rozsahu fungují v Jablonci nad Nisou a v Pardubicích. Předpokládáme, že by v blízké budoucnosti mohlo vzniknout nové pracoviště dětské urologie ve Zlíně. Na první pohled by se z dlouhého výčtu pracovišť mohlo zdát, že je urologická péče o děti dobře dostupná, ve skutečnosti zůstává v Česku řada oblastí nepokryta. Lůžková centra dětské urologie chybí v Karlovarském, Ústeckém, Libereckém, Pardubickém, Zlínském kraji a v Kraji Vysočina. Zcela neobsazené dětským urologem stále zůstávají tři kraje – Karlovarský, Ústecký a Kraj Vysočina.

Stejně jako ostatní pediatrické nástavbové obory se dětská urologie potýká se stárnutím svých členů a s nízkým počtem školenců. V centrech nyní pracuje 24 aktivních dětských urologů (přepočteno na úvazky 21,9) a připravuje se 5 školenců. Přitom dětská urologie nabízí radostnou a pestrou práci. Jako člověk, který řadu let pracoval v dospělých chirurgických oborech, si myslím, že mohu srovnávat. Děti jsou od přírody pozitivní a radostné, to se pak podepisuje i na atmosféře na oddělení. Jen v málokterém chirurgickém oboru dnes můžete

Urol 2025; 29(3): 129– 130

provádět jak otevřené, endourologické, laparoskopické a v poslední době i roboticky asistované výkony. V dospělých oborech se chirurg většinou nakonec specializuje jen na určitý typ operativy, to v dětské urologii stále neplatí. Vzhledem k nízkému počtu dětských urologů přináší tato práce velkou samostatnost, i když na druhou stranu také odpovědnost.

Získání odbornosti a zkušeností v dětské urologii vyžaduje čas. Příprava školenců je stanovena vzdělávacím programem nástavbového oboru ve Věstníku MZ 05-2021. Po zájemcích se specializací urologie se požaduje 15 měsíců praxe na akreditovaném pracovišti dětské urologie (z toho alespoň 6 měsíců na pracovišti 2. typu), 2 měsíce na pracovišti dětské chirurgie, 2 týdny na dětské nefrologii a 2 týdny na pracovišti dětské intenzivní péče. Kromě teoretických znalostí musí ke zkoušce doložit získané praktické znalosti na požadovaném dobře zvládnutelném počtu výkonů. Jsme si vědomi, že tento program komplikuje vzdělávání zájemcům z pracovišť, kde dětská urologie není. V posledních letech se proto setkáváme s požadavkem zkrátit dobu této přípravy ve snaze navýšit zájem o obor a počet školenců. Tento návrh jsme diskutovali na výročním setkání dětských urologů v Olomouci, kde od žádného zástupce stávajících center podporu nezískal. Domníváme se, že zájemci o obor z řad atestovaných urologů jsou zvyklí na práci s dospělými pacienty a pro získání znalostí pro práci a komunikaci s dětmi a jejich rodiči potřebují být vystaveni této zkušenosti alespoň po požadovanou dobu, což se již v praxi prokázalo. Navíc dětský urolog mimo největší města pracuje často sám či ve dvojici, je proto třeba více času pro získání jistoty v samostatném rozhodování.

Jako předseda Pediatrické sekce jsem loni vedl jednání s výborem České urologické společnosti ČLS JEP (ČUS) o stávající situaci v oboru. V současné době považujeme za naprosto klíčové udržet personální obsazení stávajících devíti center dětské urologie. Až jako druhý cíl v pořadí je vznik nových pracovišť dětské urologie v chybějících třech krajích. Pro vznik nového pracoviště totiž zájem ze strany mladého lékaře či lékařky nestačí. Je zde nezbytná podpora zřizovatele zdravotnického zařízení, zájem vedení nemocnice a podpora vedení příslušného urologického oddělení. Nejde jen o osobu dětského urologa, v nemocnici musí být pro děti vyčleněny lůžkové kapacity a musí být k dispozici další odborníci se zkušenostmi s dětskými pacienty, jako jsou anesteziologové, radiologové, pediatr, dětský nefrolog a samozřejmě také stále více nedostatkové dětské sestry.

S profesorem Zachovalem jsme se dohodli, že výbor ČUS zmapuje situaci a postoje vedení pracovišť v oblastech, kde dětská urologie chybí, a zástupci Pediatrické sekce budou více aktivně přítomni na vzdělávacích aktivitách ČUS. Výbor ČUS také v roce 2023 finančně podpořil vydání rozsáhlé monografie Dětská urologie (v české literatuře jde o druhou monografii po 70 letech) od nakladatelství Maxdorf a v roce 2024 podpořil účast dětských urologů na Kongresu Evropské společnosti pro dětskou urologii (ESPU). Věříme, že toto opatření umožní snazší přístup členům ČUS k informacím o péči o dětské

pacienty a může oslovit i nové zájemce o obor. Pokud má některý ze čtenářů či čtenářek zájem rozšířit řady dětských urologů, je velmi vítán a může se na mne kdykoli obrátit.

MUDr. Marcel Drlík, FEAPU

Oddělení dětské urologie

Urologická klinika 1. LF UK a VFN v Praze

Ke Karlovu 6

128 00 Praha 2 marcel.drlik@vfn.cz

Pražská třída 2306/14, 370 04 České Budějovice

Pořadatel: Pediatrická sekce České urologické společnosti ČLS JEP

Organizační zajištění:

Modelování lidské ledviny in vitro –potenciál renálních organoidů a tubuloidů pro urologii

Modeling human kidney in vitro – the potential of renal organoids and tubuloids for urology

Hlavní stanovisko práce: Tento přehledový článek shrnuje problematiku renálních organoidů vč. jejich charakterizace, aplikací, limitací a budoucího směřování se zaměřením na oblast urologie.

Major statement: This review presents a comprehensive survey of renal organoids, encompassing their characterization, potential applications, limitations, and prospects, with particular emphasis on their relevance to the field of urology.

Souhrn: Renální organoidy jsou pokročilé tkáňové kultury, které in vitro napodobují strukturu, fyziologii a onemocnění původního orgánu. Organoidy umožňují personalizovaný přístup k diagnostice a léčbě onemocnění a jejich význam v urologii stále roste. Organoidy odvozené z indukovaných pluripotentních kmenových buněk umožňují modelovat embryonální vývoj nefronů, zatímco tubuloidy vzniklé z dospělých buněk lépe napodobují funkce zralé ledvinné tkáně. Díky schopnosti odrážet genetické a funkční vlastnosti konkrétního pacienta nacházejí organoidy uplatnění při testování účinnosti a toxicity léčiv, studiu molekulárních mechanizmů onemocnění ledvin a mohou být využity v regenerativní medicíně. Nádorové organoidy mají potenciál ve výzkumu onkogeneze, modelování nádorového mikroprostředí nebo predikci odpovědi na terapii. Navzdory současným výzvám v oblasti kultivace a funkční integrace se možnosti klinické aplikace renálních organoidů rychle rozšiřují.

Klíčová slova: nádorové organoidy – personalizovaná medicína – renální karcinom – renální organoidy – tubuloidy

Summary: Renal organoids are advanced tissue cultures that resemble key structural, functional, and developmental aspects of native kidney tissue in vitro. Organoids enable a personalized approach to disease diagnosis and treatment, with their relevance in urology continuously increasing. Organoids derived from induced pluripotent stem cells allow modeling of embryonic nephron development, whereas tubuloids generated from adult cells better mimic the functions of mature renal tissue. Due to their ability to reflect the genetic and functional characteristics of individual patients, organoids are utilized for drug efficacy and toxicity testing, investigation of molecular mechanisms underlying kidney diseases, and hold potential in regenerative medicine. Tumor organoids offer promising applications in oncogenesis research, tumor microenvironment modeling, and prediction of therapeutic responses. Despite current challenges in cultivation and functional integration of these tissues, the clinical applications of renal organoids are rapidly expanding.

Key words: cancer organoids – kidney organoids – personalized medicine – renal cell carcinoma – tubuloid

Viktória Filipková1

Tomáš Pelikán2

Roman Zachoval1

Petr Heneberg2

1 Urologická klinika 3. LF UK a Fakultní Thomayerovy nemocnice, Praha

2 Interní klinika 3. LF UK a FN Královské Vinohrady, Praha

MUDr. Viktória Filipková Urologická klinika 3. LF UK a Fakultní Thomayerovy nemocnice Vídeňská 800 140 59 Praha 4 – Krč viktoria.filipkova@ftn.cz

Doručeno: 13. 6. 2025 Přijato: 13. 8. 2025

Organoidy, pokročilé tkáňové modely

Ledviny jsou jedním z nejsložitějších a nejlépe organizovaných orgánů v lidském těle a svou funkcí se podílejí na vylučování odpadních látek, regulaci homeostázy vnitřního prostředí a svými metabolickými působky ovlivňují i další orgánové systémy. Pokročilé in vitro modely jsou nezbytné pro detailní studium vývoje, fyziologie a patofyziologie ledvin, jelikož tradiční přístupy, vč. zvířecích modelů a dvourozměrných (2D) buněčných kultur, nedokáží plně rekapitulovat komplexní architekturu a funkční interakce in vivo [1]. Vytváření pokročilých trojrozměrných (3D) in vitro modelů využívajících tkáň pacienta představuje budoucnost personalizované medicíny. Organoidy jsou 3D mnohobuněčné tkáňové kultury, které přesněji napodobují komplexní strukturu, fyziologii a onemocnění zdrojového orgánu než 2D buněčné linie. Díky komplexnosti organoidů lze studovat interakce různých buněčných typů, vliv extracelulární matrix, vývoj a funkci prostorových kompartmentů [2].

Organoidy se vytvářejí buď z indukovaných pluripotentních kmenových buněk (iPSC – induced pluripotent stem cells), nebo z dospělých kmenových buněk (ASC – adult stem cells) pacienta, což jsou dvě komplementární techniky se schopností napodobit různé aspekty cílových orgánů [3]. Organoidy v urologickém výzkumu lze rozdělit na modely odvozené z primární a nádorové tkáně, jejichž příkladem jsou organoidy vytvořené z karcinomu ledvin nebo adenokarcinomu prostaty [4,5] (obr. 1).

Biobanky organoidů

Možnost kultivace a expanze organoidů umožňuje vznik biobank založených na systematickém sběru, zpracování a uchovávání vzorků spolu s detailními informacemi o pacientech. V současnosti existuje řada rozsáhlých biobank nejen v akademické sféře, ale i v komerčním sektoru, kde společnosti jako Cellesce a Repliorg nabízejí předpřipravené renální organoidy určené k vědeckému výzkumu. Komercializace organoidů má

• kožní fibroblasty/leukocyty zdravého jedince

• kožní fibroblasty/leukocyty pacienta s genetickým postižením ledvin

18–30 dní

Kmenové buňky

• odběr a izolace fibroblastů/leukocytů

• přeprogramování

indukované pluripotentní kmenové buňky (iPSC)

20–30 dní

Organoidy

iPSC ledvinné organoidy

Použití

• studium vývoje ledvin

• indukce ledvinné diferenciace pomocí směsí růstových faktorů

7–14 dní

• tkáň zdravé ledviny

• tkáň renálního karcinomu

• tkáň ledviny s genetickým/ získaným onemocněním

• odběr a zpracování tkáně

• založení kultury organoidů

ledvinné tubuloidy

iPSC ledvinné organoidy s nefropatií nádorové organoidy tubuloidy s nefropatií

• transplantace ledvinných organoidů

• modelování vrozených onemocnění ledvin

• personalizované testování léčiv

• modelování nádorových onemocnění ledvin

• modelování získaných a vrozených tubulárních onemocnění

Obr. 1. Schematické porovnání zdrojových tkání, jejich zpracování, výsledné in vitro modely a jejich použití v oblasti iPSC a ASC organoidů ledvin. Vytvořeno v BioRender.com.

Fig. 1. Schematic comparison of source tissues, their processing, resulting in vitro models and applications of iPSC and ASC renal organoids. Created in BioRender.com.

Zdroj

Tab. 1. Srovnání protokolů iPSC organoidů tkáně ledviny, jejich charakteristiky, výhody a využití.

Tab. 1. Comparison of iPSC protocols of kidney tissue organoids, their characteristics, advantages and applications.

Reference Takasato et al. [13]

Typ kultury

7 dní 2D adherentní kultura, poté air-liquid interface ve 3D

Morizane et al. [14]

4 dny 2D adherentní kultura, poté nízko adherentní kultura

Indukční strategie jednostupňová s vysokou WNT aktivací dvoufázová (nižší WNT + FGF9)

Délka diferenciace

Typické buněčné složení

18–25 dní

podocyty, proximální/distální tubuly, sběrné kanálky, stromální buňky

20–26 dní

podocyty, proximální/distální tubuly, bez sběrných kanálků

Architektonická komplexita vysoká (věrnější model vývoje) střední (méně komplexní)

Reprodukovatelnost nižší (větší heterogenita)

Velikost organoidů 5–7 mm

Formát jednotlivé organoidy v air-liquid interface kultuře

Vhodná využití modelování nefrogeneze, transplantace

WNT – signální dráha Wingless, FGF9 – fibroblastový růstový faktor 9

potenciál výrazně přispět k pokroku v translačním výzkumu, testování léčiv a personalizované i regenerativní medicíně. Rozvoj však brzdí vysoké náklady, absence jednotných regulačních rámců a etické výzvy. Z etického pohledu zůstává předmětem diskuzí vlastnictví organoidů biobankou, zejména v kontextu komercializace. Řádně informovaný pacient je dárcem původního biologického materiálu, ale právní vlastnictví organoidů v biobankách náleží instituci, která je zpracovává a uchovává [6,7].

Organogeneze ledvin

Pro vytvoření ledvinných struktur in vitro je nutné detailně porozumět fyziologickému vývoji ledvin, vč. buněčných interakcí a signálních drah. Ledvina se skládá z 30–40 typů buněk uspořádaných do složité architektury, což komplikuje tvorbu přesných modelů pro výzkum [8]. In vitro modely lze vytvořit podle vývojového procesu, který napodobuje embryogenezi, při níž se ledvina vyvíjí z mezodermu [9]. Klíčovou roli v nefrogenezi hrají interakce mezi ureterovým pupenem a mezenchymem metanefrogenního blastému. Organogeneze ledvin také závisí na migraci stromálních a endoteliálních buněk z jiných

vysoká (konzistentní výsledek)

~0,8 mm

96jamková destička s vysoce konzistentními organoidy

screening nefrotoxicity a efektivity panelu léčiv

embryonálních oblastí. Stromální a endoteliální buňky zajišťují správný vývoj ledvin tím, že tvoří podpůrné stroma, poskytují signální molekuly a podílejí se na tvorbě imunitního mikroprostředí [8]. Selhání podpůrných buněk vede k dysfunkci ledviny [10]. Nefrogeneze probíhá výhradně prenatálně a po 36. týdnu těhotenství mizí progenitorové buňky, což omezuje regenerační schopnosti ledvin [11]. Regenerace v postnatálním období je omezena pouze na opravu poškozených buněk již existujících struktur, zejména v proximálních tubulech, kde dochází k proliferaci diferencovaných epitelových buněk [12]. Tato omezená regenerace má významné důsledky pro výzkum onemocnění ledvin a podporuje vývoj nových terapeutických strategií, jako jsou organoidy.

Organoidy odvozené z indukovaných pluripotentních buněk (iPSC)

Charakteristika a zdroje

Pro tvorbu renálních iPSC organoidů se využívají diferencované buňky pacienta, jako jsou kožní fibroblasty, adipocyty a krevní buňky, které jsou přeprogramovány do dediferencovaného pluripotentního stavu. Tvorba renálních iPSC

organoidů je časově náročný proces, který trvá několik měsíců a zahrnuje přeprogramování primárních buněk a jejich následnou diferenciaci. Zdrojové buňky jsou pomocí kombinace růstových faktorů a malých molekul diferencovány směrem k intermediálnímu mezodermu, z něhož vznikají trojrozměrné organoidy napodobující vývoj nefronů (tab. 1). Celý proces napodobuje klíčové kroky embryonální organogeneze a umožňuje vznik struktur, které se vytvářejí pouze v průběhu vývoje [13,14]. Tyto organoidy obsahují jak epiteliální, tak mezenchymové buňky, ale zůstávají méně diferencované a vykazují buněčnou heterogenitu [15–17]. Sekvenování RNA jednotlivých buněk odhalilo, že iPSC organoidy jsou tvořeny podocyty, buňkami proximálního a distálního tubulu, Henleovy kličky, sběrných kanálků, stromálními a endoteliálními buňkami. Přestože iPSC organoidy zahrnují různé typy ledvinných buněk, chybí jim některé klíčové složky, jako jsou mezangiální buňky nebo glomerulární endotel [16].

Dva nejpoužívanější protokoly pro generování renálních iPSC organoidů byly publikovány v roce 2015 nezávisle skupinami Takasato et al. a Morizane et al. [13,14]. Oba protokoly napodobují vývojovou cestu k intermediálnímu mezodermu a metanefrickému mezenchymu, ale liší se v několika klíčových aspektech, které ovlivňují složení, strukturu a funkci výsledných organoidů.

Aplikace iPSC organoidů

Organoidy iPSC rekapitulují vývoj ledvin, proto umožňují detailní studium nefrogeneze a modelování vývojových poruch. Pro urology je zajímavou aplikací renálních organoidů jejich využití ve farmaceutickém výzkumu, kde slouží k testování nových léčiv, screeningu nefrotoxicity a studiu farmakodynamiky [18]. V porovnání s běžnými tkáňovými kulturami mají organoidy potenciál hodnověrně modelovat různé patofyziologické děje, což má potenciál pro hledání nových biomarkerů a terapeutických cílů. Vzhledem k absenci systémového kontextu v rámci kultur organoidů je dalším krokem použití mikrotekutinových systémů k přesnějšímu napodobení prostředí in vivo [19].

Funkce iPSC organoidů jako experimentálního modelu byla hodnocena zkoumáním účinku nefrotoxických léčiv, které v nich indukují buněčné poškození [20–22]. Aktuální výzvu představuje definování role organoidů v hodnocení léčiv z hlediska bezpečnosti pro potřeby regulačních autorit, jako je Úřad pro kontrolu potravin a léčiv [23].

Potenciálním přínosem organoidů v urologii může být modelování transplantovatelných tkání pomocí orgánového bioinženýřství. Organoidy upravené technologií CRISPR/ Cas9 umožňují vytvářet imunotolerantní tkáně s manipulovanými molekulami HLA (human leukocyte antigen), které zvyšují kompatibilitu mezi dárci a příjemci, a tím mohou snížit riziko akutní a/nebo chronické rejekční reakce [24,25].

Limitace iPSC

Renální organoidy mají slibné využití, avšak čelí řadě problémů, vč. časově náročné tvorby a krátké doby kultivace, což omezuje jejich využití při studiu chronických onemocnění a dlouhodobých účinků léčiv. Omezená životnost způsobuje problémy s dlouhodobým skladováním a kryoprezervací, což vyžaduje analýzu dopadu biobankování na buněčné vlastnosti [6]. Problematická je také standardizace mezi laboratořemi používajícími stejný kultivační protokol kvůli batch-to-batch variabilitě, která je způsobena rozdíly v rychlosti zrání a buněčné heterogenitě [26]. Navíc současné kultivační metody produkují organoidy s přítomností diferencovaných buněk jiných tkání, tzv. off-target buněk, a absencí klíčových buněčných typů, jako jsou mezangiální buňky. Navíc buňky reprogramované do pluripotentního stavu mohou vykazovat genomovou nestabilitu, což zvyšuje riziko vzniku teratomů. Proto je z pohledu rozvíjející se regenerativní medicíny nezbytné důkladně vyřešit otázky bezpečnosti a standardizace iPSC organoidů před zahájením klinických studií [27].

Budoucí směrování

Renální iPSC organoidy mají potenciál být v budoucnu využity v bioinženýrství k náhradě nebo regeneraci poškozené ledvinné tkáně díky možnosti vytvoření autologní tkáně. Pro jejich klinické uplatnění je však nezbytné zajistit správné buněčné složení, úspěšné začlenění do hostitelského organizmu, dostatečnou vaskularizaci a prokázanou funkčnost [28]. Navzdory uspořádání připomínajícímu nefronální architekturu zůstává vytvoření vyšší úrovně organizace s ohledem na společný sběrný systém moči a cévní systém náročné. Problémem je nedostatečná tvorba cévního řečiště, většina glomerulů zůstává in vitro avaskulární, ačkoliv v organoidech existují endoteliální buňky. Dalším z chybějících prvků je výstupní močový trakt, kterým by proudila moč produkovaná glomeruly, stejně jako chybí vyšší úroveň funkční organizace, jež byla podrobně popsána u dospělé ledviny vč. zonace imunitních buněk [8,27]. Pro dosažení větší strukturální a funkční zralosti renálních iPSC organoidů je klíčové napodobit fyziologické prostředí in vivo, zejména proudění tekutin, které standardním statickým kulturám chybí. Technologie organ-on-a-chip nabízí dynamické mikroprostředí, jež podporuje vaskulogenezi, diferenciaci a buněčnou organizaci, čímž zvyšuje využitelnost organoidů pro výzkum i testování léčiv [29,30].

Organoidy odvozené z dospělých kmenových buněk (ASC)

Charakteristika a zdroje

Organoidy ASC, nazývané renální tubuloidy, jsou vytvořeny z primárních epiteliálních buněk dospělých ledvin. Zdrojová tkáň je získána invazivně z ledvinné tkáně provedením biopsie nebo nefrektomií z jiných důvodů. Vzácným ale neinvazivním způsobem je možnost odběru z moči, ve které se

Tab. 2. Srovnání metod založení ASC organoidů tkáně ledviny z lidské moči a přímo tkáně ledviny. Upraveno dle Schutgens et al. [32].

Tab. 2. Comparison of methods for the establishment of renal ASC organoids from human urine and kidney tissue. Adapted from Schutgens et al. [32].

Fáze protokolu Schutgens et al. [32] – lidská moč

Shutgens et al. [32] – ledvina od dárce/biopsie

1. zdroj tkáně buňky z moči nebo biopsie kortikální tkáň z nefrektomie

2. zpracování bez nutnosti disociace, pouze centrifugace mechanická ± enzymatická disociace, odstranění krve, filtrace

3. kultivace v 3D/2D 2D kultivace, 3D kultivace v gelu extracelulární matrix (Matrigel, Basement Membrane Extract)

4. kultivační médium advanced DMEM/F12, B27, R-Spondin-1, FGF-10, EGF, N-acetylcystein, A83-01, Y-27632

5. rychlost založení nekonzistentní a pomalejší založení kultur formace tubulárních struktur do 7 dní

6. výhody neinvazivní

7. příklady použití testování účinnosti léčby cystické fibrózy

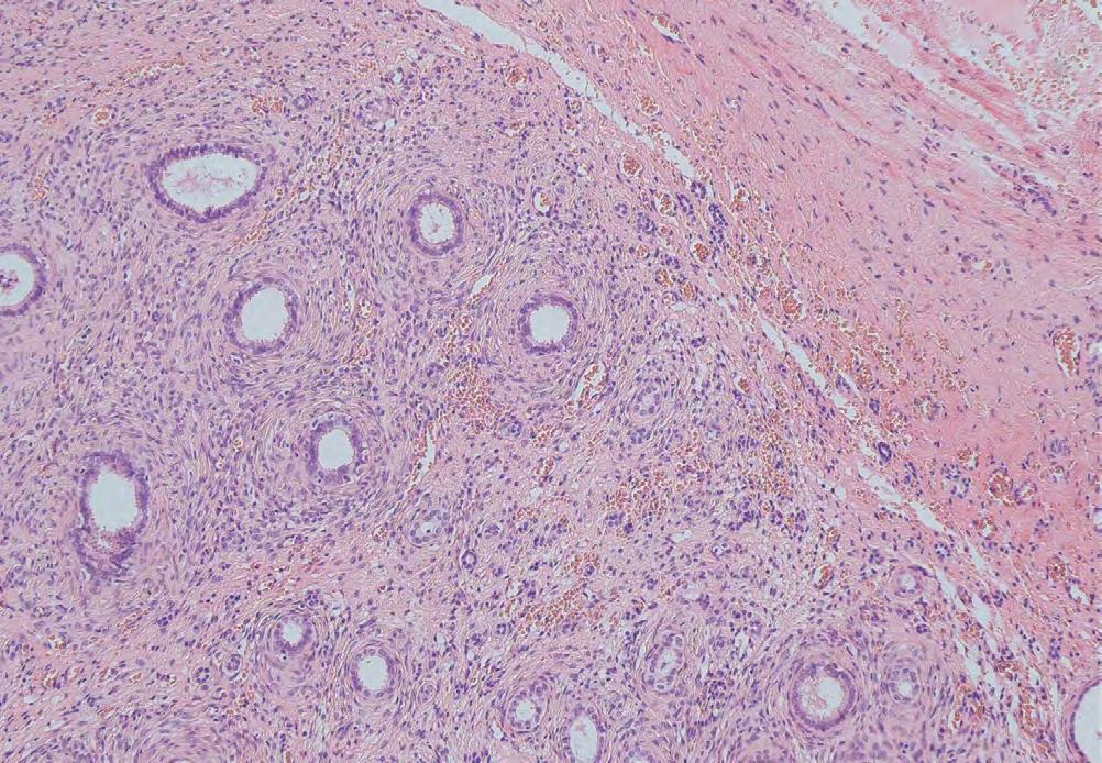
vyskytují odloučené epitelie (tab. 2) [31]. Tvorba tubuloidů zahrnuje disociaci tkáně na primární buňky, jejich kultivaci v médiu obohaceném o růstové faktory a indukci kmenového stavu pomocí signálních molekul, což vede k jejich proliferaci a formování trojrozměrných struktur v gelovém prostředí (obr. 2). Ve srovnání s iPSC organoidy je tento proces jednodušší a rychlejší, přičemž tubuloidy vznikají během prvního týdne a jsou dlouhodobě expandovatelné po více než 6 měsíců [31,32]. Tubuloidy tvoří cystické struktury sféroidního tvaru sestávající z jednoduchého kubického epitelu (obr. 3). Tubuloidy rekapitulují plastický proces regenerace renálních tubulárních buněk, který umožňuje fyziologickým způsobem exponenciální expanzi primárního epitelu ledvin po dobu několika měsíců bez nutnosti genetického přeprogramování nebo imortalizace buněk [12]. Karyotypizace a sekvenování genomu tubuloidů ukázaly, že po dobu kultivace zůstávají geneticky stabilní. Ačkoliv se skládají výhradně z epiteliálních buněk a postrádají glomerulární, endoteliální a stromální složky, obsahují buňky proximálního tubulu, Henleovy kličky, distálního tubulu a sběrných kanálků [14,22]. Jejich funkčnost byla potvrzena expresí klíčových transportních proteinů [31,32].

Aplikace ASC organoidů V současnosti jsou tubuloidy využívány k modelování různých onemocnění ledvin, vč. infekčních, dědičných, metabolických

buněčná heterogenita, množství tkáně, úspěšnost založení

studium renálního karcinomu a tubulárních onemocnění

a nádorových [11]. Tubuloidy umožňují studium molekulárních mechanizmů opravy renální tkáně, což může přispět k identifikaci nových biomarkerů a terapeutických cílů při renálním selhání. Díky své struktuře s polarizovaným, nepropustným epitelem jsou vhodné i pro zkoumání tubulárního transportu a testování účinnosti a toxicity léčiv [31,32]. Tubuloidy lze aplikovat ve výzkumu v modelaci genetických onemocnění, jako je např. cystická fibróza. Tyto tubuloidy rekapitulují charakteristické abnormality v transportu elektrolytů a lze je použít k testování účinku nových léčiv [32]. V současnosti byly ASC organoidy vytvořeny také z nádorové tkáně ledvin za účelem studia maligních onemocnění [32,33]. Potenciální aplikací tubuloidů je použití v regenerativní medicíně díky jejich imunologickému profilu vhodnému pro buněčnou terapii a náhradu funkce orgánů [34].

Limitace ASC organoidů

Limitací tubuloidů je jejich jednoduchá struktura skládající se pouze z epiteliálních buněk. Vytvoření komplexního tkáňového modelu vyžaduje kokultivaci s endoteliálními a stromálními buňkami, které povedou ke vzniku glomerulárních struktur, intersticia a vaskularizace vzniklé tkáně. Podobně jako u iPSC organoidů je problémem buněčná heterogenita s přítomností off-target buněk [33]. Další limitací tubuloidů a iPSC renálních organoidů je jejich omezená metabolická kapacita, která představuje omezení pro jejich využití v predikci

Obr. 2. Schematický přehled tvorby ASC organoidů ledviny ze zdravé tkáně kůry ledviny a tkáně ccRCC. V průběhu nefrektomie je odebrán vzorek nádorové tkáně a zdravé kůry (1). Tkáň je disociována, zpravidla pomocí kombinace mechanické a enzymatické disociace (2). Buněčná suspenze kůry ledviny je zapouzdřena přímo do gelu extracelulární matrix, zatímco suspenze ccRCC prochází krokem kultivace v suspenzi, kde dochází k tvorbě nádorových shluků. Organoidy ccRCC jsou následně zasazeny do gelu extracelulární matrix (3). V průběhu kultivace se tvoří cystické renální tubuloidy, ccRCC organoidy tvoří solidní struktury (4). Zastoupení buněčných typů je stanoveno pomocí imunofluorescence na konfokálním mikroskopu. Renální tubuloidy (nahoře) – jádra (modře, DAPI) buňky proximálních tubulů (červeně, VIL1), buňky Henleovy kličky (žlutě, THP), buňky distálního kanálku (zeleně, CALB1), buňky sběracího kanálku (fialově, AQP3); ccRCC organoidy (dole) – imunitní buňky (žlutě, CD45), nádorové buňky (červeně, CA9) (5). Vytvořeno v BioRender.com.

Fig. 2. Schematic overview of the formation of renal ASC organoids from healthy renal cortical tissue and ccRCC tissue. During nephrectomy, a sample of tumor tissue and healthy cortex is taken (1). The tissue is dissociated, usually by a combination of mechanical and enzymatic dissociation (2). The renal cortical cell suspension is directly encapsulated in an extracellular matrix gel, while the ccRCC suspension undergoes a suspension culturing step to form tumor clusters. The ccRCC organoids are subsequently embedded in the extracellular matrix gel (3). Cystic renal tubuloids are formed during the culturing process, and ccRCC organoids form solid structures (4). The representation of cell types is determined by immunofluorescence on a confocal microscope. Renal tubuloids (top) – nuclei (blue, DAPI) proximal tubule cells (red, VIL1), Henle’s cells (yellow, THP), distal tubule cells (green, CALB1), collecting duct cells (purple, AQP3); ccRCC organoids (bottom) – immune cells (yellow, CD45), tumor cells (red, CA9) (5). Created in BioRender.com.

metabolizmu léčiv a nefrotoxicity. Ve srovnání s nativní ledvinou vykazují oba typy organoidů omezenou expresi a aktivitu enzymů cytochromu P450 (CYP), zejména izoenzymů zodpovědných za metabolizmus léčiv, jako jsou CYP3A4, CYP2B6 a CYP2E. To omezuje jejich schopnost přesně modelovat metabolizmus léčiv v ledvinách [35].

Budoucnost směřování

Tubuloidy představují snadnou možnost rozšíření výzkumu různých onemocnění, vytvoření tkáňových biobank a usnadnění personalizované medicíny. Umožňují farmaceutický screening a validaci léků na velké skupině pacientů s určitým onemocněním. V neposlední řadě je lze využít ve výzkumu na

molekulární úrovni k hledání nových možností cílené terapie. Dalším úkolem je validovat in vitro screening léčiv v korelaci se skutečnými klinickými výsledky [33].

Organoidy odvozené z nádorové tkáně

Nádory ledvin

Renální karcinom (RCC – renal cell carcinoma) je nádor vycházející z epitelu ledvin a tvoří přibližně 2 % všech nádorů dospělých. Nejčastějším histologickým typem je světlobuněčný RCC, který reprezentuje 70 % RCC. Papilární RCC tvoří 13–20 % nádorů, chromofobní karcinom se vyskytuje v 5 % a zbylé případy zahrnují vzácnější histologické typy. Léčba se řídí klinickým stadiem a stavem pacienta podle aktuálních doporučení

tkáň nádoru
zdravá tkáň

Obr. 3. Fotodokumentace kultury renálních tubuloidů pomocí světelné mikroskopie v průběhu času.

Při založení kultury jsou patrné heterogenní buněčné shluky tkáně kortexu ledviny. Již po týdnu kultivace se tvoří cystické struktury, které během dalšího týdnu nabývají na velikosti. Vytvořeno v BioRender.com. Fig. 3. Photodocumentation of renal tubuloid culture by light microscopy over time. Heterogeneous cellular clusters of renal cortical tissue are visible at the establishment of the culture. Already after one week of culture, cystic structures form, which increase in size over the next week. Created in BioRender.com.

vydaných odbornými společnosti. U pacientů s lokalizovaným nádorem je chirurgický výkon kurativní léčbou. Pacienti v dobrém klinickém stavu s neoperabilním nebo metastazovaným nádorem jsou léčeni systémovou terapií [36]. Nicméně klinické výsledky cílené terapie jsou často neuspokojivé a dramaticky se liší v důsledku rozsáhlé intratumorální a intertumorální heterogenity nádoru [37]. V případech pokročilého RCC se po počáteční odpovědi na léčbu první linie mohou objevit odolnější nádorové klony, na které je obtížnější zacílit. Pacienti se stejným typem RCC nesou různé mutační

profily nádorů, proto nejsou odpovědi pacientů na systémovou léčbu stejné [38].

Charakteristika a zdroje nádorových organoidů

Organoidy odvozené z nádorové tkáně pacienta jsou 3D struktury, které spontánně samoorganizují in vitro, zachovávají své genetické aberace a reprodukují molekulární a histologický fenotyp původního nádoru. Nádorové organoidy jsou vhodné ke zkoumání molekulárního mechanizmu onkogeneze, k identifikaci nových diagnosticko-prognostických

den 0 den 1 den 2

Obr. 4. Fotodokumentace kultury ccRCC organoidů pomocí světelné mikroskopie v průběhu času. Na počátku kultury po zasazení do gelu extracelulární matrix je patrná solidní kompaktní struktura ccRCC organoidů. Již po 1 dni dochází k významné migraci buněk ccRCC organoidu, která v čase pokračuje. Vytvořeno v BioRender.com.

Fig. 4. Photodocumentation of ccRCC organoid culture by light microscopy over time. The solid compact structure of ccRCC organoids can be seen at the beginning of the culture after embedding in the extracellular matrix gel. After only one day, significant migration of ccRCC organoid cells occurs and continues over time. Created in BioRender.com.

založení kultury
1. týden
2. týden

biomarkerů a k personalizované léčbě [33,38]. Zdrojovou tkání je přímo nádor pacienta, z něhož je proveden odběr tkáně ke zpracování. Na rozdíl od normálních renálních kultur mají nádorové organoidy odlišné požadavky na složení kultivačního média. Úspěšnost založení nádorové kultury je nižší než u normálních organoidů. Může to být důsledek nekrotického prostředí nádorových tkání nebo snížení adheze mezi buňkami, což snižuje tvorbu 3D struktur, ale nádorové buňky tak mohou získat invazivní vlastnosti (obr. 4). V porovnání s normálními kulturami vykazují nádorové organoidy sníženou schopnost růstu a dlouhodobé kultivace [33]. Nádorové organoidy vykazují odlišnou morfologii oproti tubuloidům ze zdravé tkáně, přičemž tvoří volně organizované 3D struktury s hustými buněčnými agregáty a aberantními jádry.

Aplikace nádorových organoidů

Výzkum nádorových organoidů nabízí pro urologickou praxi potenciál translace do klinického využití, zejména v modelování onkogeneze, hledání tumor markerů a testování nových léčiv [39]. Testování efektivity léčiv zahrnuje i experimenty se zdravými organoidy, které plní kontrolní funkci. Experimenty na zdravé tkáni ukazují, zda se účinnost testovaného léčiva nestřetává s toxicitou léčiva [5]. Nádorové organoidy se využívají také k modelování lékové rezistence, vývoje metastáz a genetických změn souvisejících s onkogenezí a odpovědí na léčbu, a to za pomoci CRISPR/Cas9 technologie [40]. Další aplikací nádorových organoidů je predikce odpovědi na imunoterapii a následné rozhodování o nasazení terapie. Nádorové organoidy kultivované metodou air-liquid interface si uchovávají imunitní buňky, které byly přítomny v původním nádoru [41]. Analýza genové exprese ukázala, že nádorové organoidy a původní nádor se liší pouze malým počtem exprimovaných genů. Bylo zjištěno, že repertoár T-buněčných receptorů je vysoce konzervován mezi nádorem a nádorovými organoidy. Dále bylo odhaleno, že nádorové organoidy funkčně rekapitulují imunitní kontrolní bod závislý na interakci PD-1 / PD-L1. Tato zjištění umožňují zaměřit se na in vitro výzkum imunitní reakce uvnitř nádoru, vč. rezidentních imunitních buněk bez nutnosti použití periferních imunitních buněk [42]. Společná kultivace nádorových organoidů společně s tumor infiltrujícími lymfocyty, genově modifikovanými T-lymfocyty exprimujícími nové T-buněčné receptory nebo chimérické antigenní receptory může poskytnout další informace pro predikci odpovědi na imunoterapii [41,42]. Další možností využití nádorových organoidů pro studium onkogeneze a invazivního růstu nádoru je tvorba xenograftů. Ty vznikají transplantací lidských nádorových organoidů do imunosuprimovaných myší. Několik studií již prokázalo úspěšné přihojení a schopnost invazivity nádorových organoidů, což ukazuje, že nádorové organoidy si zachovávají vlastnosti nádorové populace a lze je udržovat obojí in

vitro a in vivo. Nevýhodou xenograftů je nákladná a časově náročná kultivace, přičemž úspešnost tvorby se liší v závislosti na původu nádoru. Dalším omezením je rychlá ztráta lidských stromálních komponent, které jsou rychle nahrazeny myším mikroprostředím [33,43].

Limitace nádorových organoidů

Kultivace nádorových organoidů čelí výzvám, zejména v podobě potřeby efektivních a standardizovaných protokolů pro stabilní růst buněčných kultur. Organoidy však nezachovávají nádorové mikroprostředí, které zahrnuje nádorové buňky, stromální složky, imunitní buňky a vaskulaturu, jež mají klíčovou roli v růstu nádoru. Nedostatek těchto fyzikálně-chemických vlastností mikroprostředí omezuje prediktivní schopnost organoidů při studiích in vitro [5].

Pokročilé modely využívající imunitně kompetentní organoidy, např. podle metodiky Neal et al., částečně překonávají tuto bariéru [42]. Mechanizmus zprostředkovávající odpověď na léčbu lze pochopit zkoumáním kompletního nádorového mikroprostředí. Proto by tyto parametry měly být rekapitulovány v pokročilých tkáňových modelech určených pro screening léčiv [44]. Nejobtížnějším úkolem může být vytvoření lidské imunitní odpovědi in vitro zprostředkované autologními imunitními buňkami, které budou aktivovány testovaným léčivem. Odběr a kultivace vlastních imunitních buněk pacienta by měly probíhat souběžně s tvorbou nádorových organoidů [5].

Budoucnost směřování

Technologie nádorových organoidů může být zdokonalena pro studium imunoterapie a antiangiogenních léčiv, což otevírá nové hranice využití organoidů. K ověření, zda výsledky terapie získané z organoidů skutečně odrážejí odpověď pacienta in vivo , je nezbytné uskutečnit prospektivní studie. Pokud bude v preklinickém výzkumu prokázána použitelnost organoidů, mohou se v budoucnosti stát účinným nástrojem pro optimalizaci volby léčby v klinické praxi [5,33,44].

Závěr

Renální organoidy a tubuloidy představují nové možnosti výzkumu vývoje a funkce ledvin. Do budoucna se očekává, že renální organoidy odvozené z nádorové tkáně budou hrát klíčovou roli nejen ve výzkumu onkogeneze, ale i při hledání nových terapeutických přístupů. Jejich využití může výrazně urychlit vývoj cílené terapie.

Střet zájmů: Autoři prohlašují, že v souvislosti s tématem, vznikem a publikací tohoto článku nejsou ve střetu zájmů a vznik ani publikace článku nebyly podpořeny žádnou farmaceutickou firmou.

Prohlášení o podpoře: Tvorba této publikace byla podpořena projektem AZV NU23-06-00045.

Ces Urol 2025; 29(3): 131–140

Literatura

1. Duval K, Grover H, Han LH et al. Modeling physiological events in 2D vs. 3D cell culture. Physiology (Bethesda) 2017; 32(4): 266–277. doi: 10.1152/ physiol.00036.2016.

2. Clevers H. Modeling development and disease with organoids. Cell 2016; 165(7): 1586–1597. doi: 10.1016/j.cell.2016.05.082.

3. Schutgens F, Verhaar MC, Rookmaaker MB. Pluripotent stem cell-derived kidney organoids: an in vivo-like in vitro technology. Eur J Pharmacol 2016; 790: 12–20. doi: 10.1016/j.ejphar.2016.06.059.

4. Gao D, Vela I, Sboner A et al. Organoid cultures derived from patients with advanced prostate cancer. Cell 2014; 159(1): 176–187. doi: 10.1016/j. cell.2014.08.016.

5. Mieville V, Griffioen AW, Benamran D et al. Advanced in vitro models for renal cell carcinoma therapy design. Biochim Biophys Acta Rev Cancer 2023; 1878(5): 188942. doi: 10.1016/j.bbcan.2023.188942.

6. Lensink MA, Jongsma KR, Boers SN et al. Responsible use of organoids in precision medicine: the need for active participant involvement. Development 2020; 147(7): dev177972. doi: 10.1242/dev.177972.

7. Perrone F, Zilbauer M. Biobanking of human gut organoids for translational research. Exp Mol Med 2021; 53(10): 1451–1458. doi: 10.1038/ s12276-021-00606-x.

8. Stewart BJ, Ferdinand JR, Young MD et al. Spatiotemporal immune zonation of the human kidney. Science 2019; 365(6460): 1461–1466. doi: 10.1126/science.aat5031.

9. McCauley HA, Wells JM. Pluripotent stem cell-derived organoids: using principles of developmental biology to grow human tissues in a dish. Development 2017; 144(6): 958–962. doi: 10.1242/dev.140731.

10. Little MH, Kumar SV, Forbes T. Recapitulating kidney development: progress and challenges. Semin Cell Dev Biol 2019; 91: 153–168. doi: 10.1016/j. semcdb.2018.08.015.

11. Little MH, McMahon AP. Mammalian kidney development: principles, progress, and projections. Cold Spring Harb Perspect Biol 2012; 4(5): a008300. doi: 10.1101/cshperspect.a008300.

12. Kramann R, Kusaba T, Humphreys BD. Who regenerates the kidney tubule? Nephrol Dial Transplant 2015; 30(6): 903–910. doi: 10.1093/ndt/gfu281.

13. Takasato M, Er PX, Chiu HS et al. Kidney organoids from human iPS cells contain multiple lineages and model human nephrogenesis. Nature 2015; 526(7574): 564–568. doi: 10.1038/nature15695.

14. Morizane R, Lam AQ, Freedman BS et al. Nephron organoids derived from human pluripotent stem cells model kidney development and injury. Nat Biotechnol 2015; 33(11): 1193–1200. doi: 10.1038/nbt.3392.

15. Chambers BE, Weaver NE, Wingert RA. The „3Ds“ of growing kidney organoids: advances in nephron development, disease modeling, and drug screening. Cells 2023; 12(4): 549. doi: 10.3390/cells12040549.

16. Combes AN, Zappia L, Er PX et al. Single-cell analysis reveals congruence between kidney organoids and human fetal kidney. Genome Med 2019; 11(1): 3. doi: 10.1186/s13073-019-0615-0.

17. Wu H, Uchimura K, Donnelly EL et al. Comparative analysis and refinement of human PSC-derived kidney organoid differentiation with single-cell transcriptomics. Cell Stem Cell 2018; 23(6): 869–881. doi: 10.1016/j.stem.2018.10.010.

18. Vandana JJ, Manrique C, Lacko LA et al. Human pluripotent-stem-cell-derived organoids for drug discovery and evaluation. Cell Stem Cell 2023; 30(5): 571–591. doi: 10.1016/j.stem.2023.04.011.

19. Gerhardt LM, McMahon AP. Identifying common molecular mechanisms in experimental and human acute kidney injury. Semin Nephrol 2022; 42(3): 151286. doi: 10.1016/j.semnephrol.2022.10.012.

20. Soo JY, Jansen J, Masereeuw R et al. Advances in predictive in vitro models of drug-induced nephrotoxicity. Nat Rev Nephrol 2018; 14(6): 378–393. doi: 10.1038/s41581-018-0003-9.

21. Jun DY, Kim SY, Na JC et al. Tubular organotypic culture model of human kidney. PLoS One 2018; 13(10): e0206447. doi: 10.1371/journal. pone.0206447.

22. Gupta N, Matsumoto T, Hiratsuka K et al. Modeling injury and repair in kidney organoids reveals that homologous recombination governs tubular intrinsic repair. Sci Transl Med 2022; 14(634): eabj4772. doi: 10.1126/scitranslmed.abj4772.

23. Wang H, Brown PC, Chow EC et al. 3D cell culture models: Drug pharmacokinetics, safety assessment, and regulatory consideration. Clin Transl Sci 2021; 14(5): 1659–1680. doi: 10.1111/cts.13066.

24. Tekguc M, Gaal RC, Uzel SG et al. Kidney organoids: a pioneering model for kidney diseases. Transl Res 2022; 250: 1–17. doi: 10.1016/j. trsl.2022.06.012.

25. Kim J, Koo BK, Knoblich JA. Human organoids: model systems for human biology and medicine. Nat Rev Mol Cell Biol 2020; 21(10): 571–584. doi: 10.1038/s41580-020-0259-3.

26. Phipson B, Er PX, Combes AN et al. Evaluation of variability in human kidney organoids. Nat Methods 2019; 16(1): 79–87. doi: 10.1038/ s41592-018-0253-2.

27. Nishinakamura R. Advances and challenges toward developing kidney organoids for clinical applications. Cell Stem Cell 2023; 30(8): 1017–1027. doi: 10.1016/j.stem.2023.07.011.

28. Vives J, Batlle-Morera L. The challenge of developing human 3D organoids into medicines. Stem Cell Res Ther 2020; 11(1): 72. doi: 10.1186/ s13287-020-1586-1.

29. Homan KA, Gupta N, Kroll KT et al. Flow-enhanced vascularization and maturation of kidney organoids in vitro. Nat Methods 2019; 16(3): 255–262. doi: 10.1038/s41592-019-0325-y.

30. Allison SJ. Fluid flow enhances vascularization and maturation of kidney organoids. Nature Reviews Nephrology 2019; 15(5): 254. doi: 10.1038/ s41581-019-0126-7.

31. Calandrini C, Drost J. Generation of human kidney tubuloids from tissue and urine. J Vis Exp 2021; 170: e62404. doi: 10.3791/62404.

32. Schutgens F, Rookmaaker MB, Margaritis T et al. Tubuloids derived from human adult kidney and urine for personalized disease modeling. Nat Biotechnol 2019; 37(3): 303–313. doi: 10.1038/s41587-019-0048-8.

Ces Urol 2025; 29(3): 131–140

33. Grassi L, Alfonsi R, Francescangeli F et al. Organoids as a new model for improving regenerative medicine and cancer personalized therapy in renal diseases. Cell Death Dis 2019; 10(3): 201. doi: 10.1038/s41419-019-1453-0.

34. Sugimoto S, Ohta Y, Fujii M et al. Reconstruction of the human colon epithelium in vivo. Cell Stem Cell 2018; 22(2): 171–176. doi: 10.1016/j. stem.2017.11.012.

35. Guo H, Deng N, Dou L et al. 3-D human renal tubular organoids generated from urine-derived stem cells for nephrotoxicity screening. ACS Biomater Sci Eng 2020; 6(12): 6701–6709. doi: 10.1021/acsbiomaterials.0c01468.

36. EAU Guidelines. Edn. presented at the EAU Annual Congress Madrid, Spain 2025.

37. Liu J, Dang H, Wang XW. The significance of intertumor and intratumor heterogeneity in liver cancer. Exp Mol Med 2018; 50(1): e416. doi: 10.1038/ emm.2017.165.

38. Tse RT, Wong CY, Ding X et al. The establishment of kidney cancer organoid line in drug testing. Cancer Med 2024; 13(12): e7432. doi: 10.1002/ cam4.7432.

39. Li Z, Xu H, Yu L et al. Patient-derived renal cell carcinoma organoids for personalized cancer therapy. Clin Transl Med 2022; 12(7): e970. doi: 10.1002/ctm2.970.

40. Li Z, You Y, Feng B et al. Construction methods and latest applications of kidney cancer organoids. Oncol Rev 2024; 18: 1434981. doi: 10.3389/ or.2024.1434981.

41. Esser LK, Branchi V, Leonardelli S et al. Cultivation of clear cell renal cell carcinoma patient-derived organoids in an air-liquid interface system as a tool for studying individualized therapy. Front Oncol 2020; 10: 1775. doi: 10.3389/fonc.2020.01775.

42. Neal JT, Li X, Zhu J et al. Organoid modeling of the tumor immune microenvironment. Cell 2018; 175(7): 1972–1988. doi: 10.1016/j. cell.2018.11.021.

43. Collins AT, Lang SH. A systematic review of the validity of patient derived xenograft (PDX) models: the implications for translational research and personalised medicine. PeerJ 2018; 6: e5981. doi: 10.7717/peerj.5981.

44. Tse RT, Zhao H, Wong CY et al. Current status of organoid culture in urological malignancy. Int J Urol 2022; 29(2): 102–113. doi: 10.1111/iju.14727.

Soutěž ČUS o nejlepší video publikované v časopise Česká urologie 2025

Všechna videa publikovaná v časopise Česká urologie v roce 2025  budou do soutěže zařazena automaticky.

Podmínkou pro zařazení je skutečnost, že první autor je urologem.

Vítězné práce budou vyhlášeny na Výroční konferenci ČUS 2026.

Výsledky budou následně zveřejněny v časopise Česká urologie a na webových stránkách ČUS Soutěž

Penilní rehabilitace po radikální prostatektomii

Penile rehabilitation after radical prostatectomy

Souhrn: Penilní rehabilitace po radikální prostatektomii představuje multimodální přístup zaměřený na podporu obnovení erektilní funkce kombinací farmakoterapie, mechanických pomůcek a dalších intervenčních metod. Dostupné klinické studie naznačují, že časně zahájené, strukturované postupy mohou u části pacientů přispět k zachování či návratu erektilní funkce, avšak kvalita důkazů je nevyrovnaná a výsledky jsou heterogenní. Mezi nejčastěji využívané modality patří inhibitory fosfodiesterázy typu 5 a vakuová erekční pumpa; další postupy jako nízkointenzitní mimotělní rázová vlna nebo penilní vibrační stimulace jsou zkoumány převážně v menších souborech a jejich rutinní použití zatím nelze považovat za standard. Intrakavernózní alprostadil zůstává možností u pacientů s nedostatečnou odpovědí na perorální léčbu. Regenerační přístupy vč. aplikace kmenových buněk jsou předmětem probíhajícího klinického výzkumu. Z praktického hlediska je vhodné individualizovat načasování a kombinaci modalit s ohledem na typ chirurgického výkonu, komorbidity, preference pacienta a průběžnou léčebnou odpověď. Vzhledem k omezené a nejednotné evidenci je třeba interpretovat přínos penilní rehabilitace obezřetně a další robustní, dlouhodobé studie jsou nezbytné k upřesnění jejího skutečného efektu a optimálního nastavení léčebných postupů. Klíčová slova: erektilní dysfunkce – inhibitor fosfodiesterázy 5 – vakuová erekční pumpa –nízkointenzitní mimotělní rázová vlna – nervy šetřící radikální prostatektomie

Summary: Penile rehabilitation after radical prostatectomy is a multimodal approach aimed at supporting the recovery of erectile function through a combination of pharmacotherapy, mechanical devices, and other interventional methods. Available clinical studies suggest that early, structured protocols may help a subset of patients preserve or regain erectile function; however, the quality of evidence is uneven and findings are heterogeneous. The most commonly used modalities include phosphodiesterase type 5 inhibitors and vacuum erection devices. Other approaches – such as low-intensity extracorporeal shock wave therapy or penile vibratory stimulation – have been investigated mainly in small cohorts, and their routine use cannot yet be considered standard of care. Intracavernosal alprostadil remains an option for patients with insufficient response to oral therapy. Regenerative strategies, including the use of stem cells, are the subject of ongoing clinical research. From a practical standpoint, the timing and combination of modalities should be individualized with respect to surgical technique, comorbidities, patient preferences, and interim treatment response. Given the limited and inconsistent evidence, the potential benefits of penile rehabilitation should be interpreted with caution, and further robust, long-term studies are needed to clarify its true effect and to define optimal treatment strategies.

Key words: erectile dysfunction – phosphodiesterase type 5 inhibitor – vacuum erection device – low-intensity extracorporeal shock wave therapy – nerve-sparing radical prostatectomy

Marek Broul1-3

Aneta Hujová3

1 Sexuologické oddělení, Krajská zdravotní, a.s. –Masarykova nemocnice v Ústí nad Labem, o.z

2 Urologické oddělení, Krajská zdravotní, a. s. –Nemocnice Litoměřice, o.z.

3 Fakulta zdravotnických studií UJEP v Ústí nad Labem

MUDr. Marek Broul, Ph.D., MBA, FECSM

Sexuologické oddělení Krajská zdravotní, a.s. –Masarykova nemocnice v Ústí nad Labem, o.z. Sociální péče 3316/12A 400 01 Ústí nad Labem marek.broul@kzcr.eu

Doručeno: 17. 7. 2025

Přijato: 4. 9. 2025

Úvod

Erektilní dysfunkce (ED) představuje jednu z nejčastějších a klinicky nejvýznamnějších komplikací radikální prostatektomie (RP), i při využití moderních nervy šetřících chirurgických technik postihuje 40–70 % mužů [1–3]. Koncept „penilní rehabilitace“, poprvé popsaný Montorsim et al. v roce 1997, vychází z předpokladu, že časná podpora oxygenace a erektilní aktivity penisu může bránit ireverzibilním změnám tkáně a usnadnit návrat spontánní erekce [4]. Za uplynulá dvě desetiletí vznikl značný počet studií hodnotících různé modality penilní rehabilitace, nicméně výsledky jsou heterogenní a jejich klinická relevance zůstává předmětem diskuze [1,5–7].

Současná doporučení Evropské urologické asociace (EAU –European Accociation of Urology) zdůrazňují především farmakologickou léčbu inhibitory fosfodiesterázy 5 (PDE5i) a využití vakuové erekční pomůcky (VED), zatímco další metody, např. nízkointenzitní mimotělní rázová vlna (LIESWT – low intensity extracorporeal shockwave therapy) či penilní vibrační stimulace (PVS), jsou hodnoceny jako experimentální a nejsou součástí rutinních doporučení [1]. Cílem tohoto přehledového článku je shrnout současné poznatky o penilní rehabilitaci po RP se zaměřením na kritické zhodnocení dostupné evidence a na praktickou aplikovatelnost v podmínkách české urologie.

Patofyziologie postprostatektomické ED

Postprostatektomická erektilní dysfunkce (PP-ED) vzniká komplexní interakcí chirurgického poranění neurovaskulárních struktur penisu, následné hypoxie kavernózních těles a kaskády oxidativního stresu, která vede k apoptóze hladké svaloviny a fibrotizaci kavernózních trabekul [2,3]. Patofyziologické děje lze rozdělit do několika klíčových okruhů:

• neurapraxie a axonální degenerace kavernózních nervů;

• pokles arteriálního přítoku a hypoxie penisu;

• oxidační stres a endoteliální dysfunkce;

• apoptóza hladké svaloviny a kavernózní fibrotizace;

• dysregulace neurohumorálních drah;

• časové okno a reverzibilita změn;

• modifikující faktory.

Neurapraxie a axonální degenerace kavernózních nervů

Intraoperační trakce, tepelná léze a ischemie neurovaskulárních svazků indukují reverzibilní neurapraxii trvající 3–18 měsíců. Prodloužené přerušení axoplazmatického toku však vede k degeneraci a následně ke ztrátě funkčních nervových vláken. Denervační změny lze histologicky prokázat již 48 hod po výkonu [8,9].

Pokles arteriálního přítoku a hypoxie penisu

Ligatura přídatných pudendálních tepen (arteriae pudendae accessoriae) a ztráta reflexních a nočních erekcí snižují

parciální tlak O2 v kavernózních tkáních o 40–60 % během prvních týdnů. Chronická hypoxie spouští expresi HIF-1α, TGF-β1 a dalších profibrotických mediátorů [10,11].

Oxidační stres a endoteliální dysfunkce

Reperfuze po tranzientní ischemii zvyšuje tvorbu reaktivních forem kyslíku (ROS) v endotelu. Aktivace NADPH-oxidázy vede k depleci NO a k nastolení prokontrakčního sympatického tonu. Oxidační stres je přímo korelován se závažností ED (nižší IIEF-5) [12,13].

Apoptóza hladké svaloviny a kavernózní fibrotizace

Hypoxické prostředí indukuje kaspázu-3-mediovanou apoptózu hladké svaloviny, do 6 měsíců po RP klesá poměr hladké svaloviny ke kolagenu z ≈ 4 : 1 na 1 : 1. Kolagenní depozita zvyšují pasivní poddajnost, narušují venookluzivní mechanizmus, a způsobují tak ED [14,15].

Dysregulace neurohumorálních drah

Denervace narušuje rovnováhu mezi nitrergní a adrenergní signalizací. Dochází k down regulaci neuronální/endoteliální syntázy oxidu dusnatého (NO), zvýšené expresi α1-adrenergních receptorů a přesunu Rho-kinázového systému směrem ke kontrakci. Androgenní deprivace v perioperačním období může tyto změny potencovat [16]. Základní princip těchto drah popisuje Beverley [17] takto: Nitrergní signalizace je „oxid-dusnatá dráha“ – parasympatická vlákna v kavernózních nervech uvolňují NO, jenž pomocí cGMP uvolní hladkou svalovinu a dovolí naplnění penisu krví. Adrenergní signalizace je „noradrenalinová brzda“ – sympatická vlákna uvolňují noradrenalin, který přes α-adrenergní receptory stahuje svalovinu a udržuje penis ve flacidním stavu. Erekce vzniká, když nitrergní uvolnění NO převáží nad adrenergním stahujícím tonem. V klidovém stavu dominuje adrenergní tonus; k erekci dochází, když se aktivují nitrergní neurony a současně se sympatická aktivita tlumí. Po chirurgickém poranění kavernózních nervů (např. při RP) klesá neuronální syntáza NO (nNOS) / NO a relativně převažuje adrenergní stah. Tímto mechanizmem vzniká ED [18]. Důležitým cílem rehabilitace je obnovit či posílit nitrergní produkci NO a zároveň tlumit nadměrnou adrenergní aktivitu, aby se rovnováha opět překlopila ve prospěch erekce.

Časové okno a reverzibilita změn

Studie na krysím modelu ukazují, že iniciační apoptóza je zčásti reverzibilní během prvních 8 týdnů, pokud je zajištěna perfuze a NO-mediovaná relaxace hladké svaloviny kavernózních těles. Po 12 měsících však dochází k nevratné fibróze (> 30 % kolagenu), která výrazně snižuje účinnost PDE5i [19].

Modifikující faktory

Vyšší věk, diabetes mellitus, obezita a nízký předoperační IIEF-5 index synergicky zvyšují riziko závažné PP-ED [20].

Shrnutí

PPED je multifaktoriální proces iniciovaný nervovým poraněním a udržovaný tkáňovou hypoxií a oxidativním stresem, jejichž výsledkem je apoptóza a fibrotizace kavernózní tkáně. Pochopení této kaskády zdůrazňuje potřebu časně zahájené, multimodální penilní rehabilitace.

Modality penilní rehabilitace

Inhibitory 5-fosfodiesterázy

PDE5 inhibitory tvoří farmakologický základ penilní rehabilitace, protože potencují endogenní NO-cGMP dráhu a podporují kavernózní oxygenaci. Randomizované studie zkoumaly denní podávání tadalafilu (5 mg) nebo sildenafilu (100 mg na noc) zahájené do 4 týdnů po RP. Některé výsledky ukazují vyšší podíl mužů dosahujících skóre IIEF-5 ≥ 22 po 2 letech ve srovnání s placebem, nicméně heterogenita studií je vysoká a efekt na spontánní obnovu erekce zůstává sporný [7,21].

EAU guidelines (2024) uvádějí, že podávání PDE5i po RP nezvyšuje prokazatelně šanci na spontánní erekci (evidence 1a) [1]. V klinické praxi však PDE5i přispívají ke zlepšení erektilní funkce u části pacientů a jsou dobře tolerovány. Nejčastější

nežádoucí účinky zahrnují bolesti hlavy, návaly a dyspepsii; k přerušení léčby vedou u méně než 5 % mužů [22].

Vakuové erekční pomůcky VED vytvářejí negativní tlak, který nasává krev do kavernózních těles a mechanicky napíná tunica albuginea, čímž může zpomalit fibrotizaci. Kombinace VED s PDE5i byla v několika studiích spojena se zlepšením erektilní funkce, ale data jsou rovněž heterogenní [10,23]. Optimální režim aplikace není jednoznačně stanoven; obvykle se doporučuje začít 2 týdny po RP, 10–15 min denně bez konstrikčního kroužku. Cílem je dosáhnout několika hyperemických epizod týdně. Mezi možné komplikace patří petechie, nepohodlí či mírná bolest.

Nízkointenzitní mimotělní rázová vlna LIESWT byla testována jako metoda stimulující angiogenezi a regeneraci nervových vláken. Některé pilotní studie ukázaly vyšší míru návratu erekce u pacientů po bilaterální nervy šetřící prostatektomii, nicméně velikost souborů byla malá a dlouhodobá data chybějí [24]. EAU guidelines ji neuvádějí jako standardní metodu rehabilitace, a proto je nutné

Tab. 1. Autory článku navrhovaný doporučený klinický algoritmus penilní rehabilitace po radikální prostatektomii. Tab. 1. The authors of the article propose a recommended clinical algorithm for penile rehabilitation after radical prostatectomy.

Časový bod

před operací

Modalita (základ)

Modalita (doplněk/eskalace)

Kritérium posunu

edukace pacienta, baseline IIEF-5, testosteron, HbA1c – –

0–4 týdny denní PDE5i (tadalafil 5 mg nebo sildenafil 100 mg na noc)

4–6 týdnů PDE5i ± VED

3 měsíce pokračovat PDE5i ± VED

PDE5i ± VED (10 min/den)

+ LIESWT (1 500 pulzů, 2× týdně × 3 týdny) u bilat. NSRP

+ PVS 2× denně; titrace PDE5i „on-demand“

6 měsíců pokračovat PDE5i ± VED + ICI (alprostadil 5–20 µg, 2–3× týdně)

12 měsíců pokračovat PDE5i ± VED

zvážit 2. cyklus LIESWT; experimentální metody (PRP, MSC); psychosexuální terapie

katetr odstraněn, kontinence ≥ 50 %

bilat. NSRP; IIEF-5 < 22

IIEF-5 < 17

IIEF-5 < 17 nebo EHS < 3

IIEF-5 < 17 nebo nespokojenost partnerky

18–24 měsíců –penilní protéza, event. chirurgická reinervace neúspěch všech modalit, motivovaný pacient

IIEF-5 – International Index of Erectile Function (pětiotázková verze), PDE5i – inhibitor fosfodiesterázy 5, VED – vakuová erekční pumpa, LIESWT – nízkointenzitní mimotělní rázová vlna (experimentální metoda), NSRP – nervy šetřící radikální prostatektomie, PVS – penilní vibrační stimulace (experimentální metoda), ICI – intrakavernózní injekce (alprostadil), EHS – skóre tvrdosti erekce, PRP – plazma bohatá na destičky (experimentální metoda), MSC – mezenchymální kmenové buňky (experimentální metoda)

29(3): 141–145

ji považovat za experimentální [1]. Použití je vhodné pouze v rámci klinických studií nebo individuálně u vybraných pacientů po důkladném poučení.

Intrakavernózní farmakoterapie

Intrakavernózní injekce prostaglandinu E1 (alprostadil) umožňují vyvolání erekce nezávisle na integritě nitrergních nervů. Jsou indikovány zejména u pacientů nereagujících na PDE5i [4]. Data o jejich roli v rámci systematické penilní rehabilitace po RP jsou omezená, přesto zůstávají osvědčenou metodou „záchranné“ léčby. Nežádoucí účinky zahrnují bolest, hematom a vzácně fibrózu.

Penilní vibrační stimulace

PVS aktivuje reflexní parasympatické dráhy přes n. dorsalis penis. Menší studie naznačují možnost zkrácení doby k obnovení erektilní funkce a určité zlepšení IIEF-5, avšak výsledky jsou nejednoznačné [25]. PVS není uváděna v oficiálních doporučeních EAU ani Americké urologické asociace (AUA –American Urological Association) a je třeba ji považovat za experimentální modalitu. Její využití lze zvážit u motivovaných pacientů, nejlépe v rámci klinických studií.

Emerging terapie (kmenové buňky, reinervace)

Léčba kmenovými buňkami, chirurgická reinervace a další metody (např. plazma bohatá na destičky, genová terapie) jsou ve fázi klinického výzkumu [26]. Zatím neexistují dostatečně robustní randomizované studie a tyto postupy by měly být nabízeny pouze v rámci klinických studií.

Diskuze

Doporučený klinický algoritmus

Níže uvedený autory navrhovaný algoritmus vychází z aktuálních doporučení EAU 2024, AUA 2023 a konsenzu ISSM 2025 [1,27,28] a je přizpůsoben možnostem českých urologických pracovišť. Je koncipován jako časově řízený, multimodální postup s pravidelným hodnocením erektilní funkce pomocí IIEF-5 (tab. 1).

Racionální ukončení rehabilitace

Po 24 měsících bez významného zlepšení IIEF-5 (< 17) a neúspěchu intrakavernózní léčby je racionální nabídnout implantaci třídílné penilní protézy, jejíž dlouhodobá spokojenost dosahuje > 85 %.

Literatura

Závěr

Včasná, individualizovaná a multimodální penilní rehabilitace může představovat vhodnou strategii ke zmírnění rizika PP-ED. Nejlépe podloženou evidencí disponují PDE5i a VED, které jsou doporučovány současnými guidelines. Jejich kombinace může u části pacientů přispět k zachování či zlepšení erektilní funkce, ačkoliv vliv na spontánní obnovu erekce není jednoznačně prokázán.

Další metody jako LIESWT či PVS vykazují v menších studiích slibné výsledky, avšak vzhledem k heterogenitě a omezenému počtu pacientů je třeba je považovat za experimentální. Totéž platí pro nové přístupy využívající kmenové buňky, plazmu bohatou na destičky nebo genovou terapii, které jsou zatím dostupné pouze v rámci klinického výzkumu.

Budoucí studie by se měly zaměřit na dlouhodobé hodnocení účinnosti kombinované léčby a na vymezení role emerging terapií v klinické praxi. Z pohledu současné evidence lze českým urologům doporučit, aby za standardní součást pooperační péče o pacienty po RP považovali především farmakoterapii PDE5i a použití VED. Ostatní postupy by měly být využívány uvážlivě, se zohledněním jejich experimentálního charakteru a s důkladným poučením pacienta.

Seznam použitých zkratek

ED – erektilní dysfunkce (erectile dysfunction)

EHS – skóre tvrdosti erekce (erection hardness score)

HIF-1α – faktor indukovaný hypoxií 1α (hypoxia-inducible factor-1α)

ICI – intrakavernózní injekce (intracavernosal injection)

IIEF-5 – mezinárodní index erektilní funkce – pětiotázková verze (International Index of Erectile Function – 5-item version)

LIESWT – nízkointenzitní extrakorporální rázová vlna (low-intensity extracorporeal shockwave therapy)

MSC – mezenchymální kmenové buňky (mesenchymal stem cells)

NO – oxid dusnatý (nitric oxide)

PDE5i – inhibitor fosfodiesterázy 5 (phosphodiesterase type 5 inhibitor)

PP-ED – postprostatektomická erektilní dysfunkce (post-prostatectomy erectile dysfunction)

PRP – plazma bohatá na destičky (platelet-rich plasma)

PVS – penilní vibrační stimulace (penile vibratory stimulation)

RP – radikální prostatektomie (radical prostatectomy)

ROS – reaktivní formy kyslíku (reactive oxygen species)

TGF-β1 – transformující růstový faktor β1 (transforming growth factor-β1)

VED – vakuová erekční pumpa (vacuum erection device)

Střet zájmů: Autoři prohlašují, že v souvislosti s příspěvkem nemají žádný konflikt zájmů.

Prohlášení o podpoře: Zpracování tohoto článku nebylo podpořeno žádnou společností.

1. EAU Guidelines on sexual and reproductive health. [online]. Available from: https://uroweb.org/guidelines/sexual-and-reproductive-health.

2. Šrámková T. Důsledky komplexní onkologické léčby na mužskou sexualitu. Ces Urol 2023; 27(4): 243–250. doi: 10.48095/cccu2023032.

3. Kubíček V. Sexuální dysfunkce po radikálních uroonkologických výkonech. Urol Praxi 2018; 19(5): 234–236.

4. Montorsi F, Guazzoni G, Strambi LF et al. Recovery of spontaneous erectile function after nerve-sparing radical retropubic prostatectomy with and without early intracavernous injections of alprostadil: results of a prospective, randomized trial. J Urol 1997; 158(4): 1408–1410.

5. Salter CA. Penile rehabilitation 2024: Where are we? AUA News 2024. [online]. Available from: https://auanews.net/issues/articles/2024/ august-2024/aua2024-recaps-penile-rehabilitation-2024-where-are-we.

6. Prasad R, Wanjari M, Lamture YR et al. Penile rehabilitation effectiveness after prostate cancer treatment: a systematic review of randomized controlled trials. Narra J 2023; 3(2): e174. doi: 10.52225/narra.v3i2.174.

7. Motlagh RS, Abufaraj M, Yang L et al. Penile rehabilitation strategy after nerve sparing radical prostatectomy: a systematic review and network meta-analysis of randomized trials. J Urol 2021; 205(4): 1018–1030. doi: 10.1097/JU.0000000000001584.

8. Hannan JL, Matsui H, Sopko NA et al. Caspase-3 dependent nitrergic neuronal apoptosis following cavernous nerve injury is mediated via RhoA and ROCK activation in major pelvic ganglion. Sci Rep 2016; 6: 29416.

9. Latcu SC, Novacescu D, Buciu VB et al. The cavernous nerve injury rat model: a pictorial essay on post-radical prostatectomy erectile dysfunction research. Life 2023; 13(12): 2337. doi: 10.3390/life13122337.

10. Leungwattanakij S, Bivalacqua TJ, Usta MF et al. Cavernous neurotomy causes hypoxia and fibrosis in rat corpus cavernosum. J Androl 2003; 24(2): 239–245. doi: 10.1002/j.1939-4640.2003.tb02668.x.

11. Lin H, Wang R. The science of vacuum erectile device in penile rehabilitation after radical prostatectomy. Transl Androl Urol 2013; 2(1): 61–66. doi: 10.3978/j.issn.2223-4683.2013.01.04.

12. Kaltsas A, Zikopoulos A, Dimitriadis F et al. Oxidative stress and erectile dysfunction: pathophysiology, impacts, and potential treatments. Curr Issues Mol Biol 2024; 46(8): 8807–8834. doi: 10.3390/cimb46080521.

13. Song G, Hu P, Song J et al. Molecular pathogenesis and treatment of cavernous nerve injury-induced erectile dysfunction: a narrative review. Front Physiol 2022; 13: 1029650. doi: 10.3389/fphys.2022.1029650.

14. Li M, Yuan YM, Yang BC et al. Comparative study of intracavernous pressure and cavernous pathology after bilateral cavernous nerve crushing and resection in rats. Asian J Androl 2020; 22(6): 629–635. doi: 10.4103/aja.aja_10_20.

15. Qian SQ, Qin F, Zhang S et al. Vacuum therapy prevents corporeal veno-occlusive dysfunction and penile shrinkage in a cavernosal nerve injured rat model. Asian J Androl 2020; 22(3): 274–279. doi: 10.4103/aja.aja_57_19.

16. Perez DM. Current developments on the role of α1-adrenergic receptors in cognition, cardioprotection, and metabolism. Front Cell Dev Biol 2021; 9: 652152. doi: 10.3389/fcell.2021.652152.

17. Davis BJ, Chapple CR, Sellers DJ et al. α1L-adrenoceptors mediate contraction of human erectile tissue. J Pharmacol Sci 2018; 137(4): 366–371. doi: 10.1016/j.jphs.2018.08.003.

18. Sezen SF, Lagoda G, Burnett AL. Neuronal nitric oxide signaling regulates erection recovery after cavernous nerve injury. J Urol 2012; 187(2): 757–763. doi: 10.1016/j.juro.2011.09.146.

19. Cho MC, Lee J, Park J et al. Restoration of cavernous veno-occlusive function through chronic administration of a Jun-amino terminal kinase inhibitor and a LIM-kinase 2 inhibitor by suppressing cavernous apoptosis and fibrosis in a rat model of cavernous nerve injury: a comparison with a phosphodiesterase type 5 inhibitor. World J Mens Health 2021; 39(3): 541–549. doi: 10.5534/wjmh.200085.

20. Salter CA, Tin AL, Bernie HL et al. Predictors of worsening erectile function in men with functional erections early after radical prostatectomy. J Sex Med 2022; 19(12): 1790–1796. doi: 10.1016/j.jsxm.2022.08.193.

21. Miranda EP, Benfante N, Kunzel B et al. A randomized, controlled, 3-arm trial of pharmacological penile rehabilitation in the preservation of erectile function after radical prostatectomy. J Sex Med 2021; 18(2): 423–429. doi: 10.1016/j.jsxm.2020.10.022.

22. Broul M, Štrbavý M, Skála P. Hodnocení erektilní dysfunkce po roboticky asistované radikální prostatektomii. Ces Urol 2014; 18(4): 324–333. doi: 10.48095/cccu2014046

23. Pirola GM, Naselli A, Maggi M et al. Vacuum erection device for erectile function rehabilitation after radical prostatectomy: which is the correct schedule? Results from a systematic, scoping review. Int J Impot Res 2024; 36(3): 194–200. doi: 10.1038/s41443-023-00700-w.

24. Kohada Y, Babasaki T, Goto K et al. Long-term efficacy of penile rehabilitation with low-intensity extracorporeal shock wave therapy for sexual and erectile function recovery following robotic-assisted radical prostatectomy: a single-cohort pilot study. Sex Med 2023; 11(2): qfad023. doi: 10.1093/ sexmed/qfad023.

25. Fode M, Borre M, Ohl DA et al. Penile vibratory stimulation in the recovery of urinary continence and erectile function after nerve-sparing radical prostatectomy: a randomized, controlled trial. BJU Int 2014; 114(1): 111–117. doi: 10.1111/bju.12501.

26. Jeon SH, Shrestha KR, Kim RY et al. Combination therapy using human adipose-derived stem cells on the cavernous nerve and low-energy shockwaves on the corpus cavernosum in a rat model of post-prostatectomy erectile dysfunction. Urology 2016; 88: 226.e1–9. doi: 10.1016/j. urology.2015.10.021.

27. Motlagh RS, Abufaraj M, Yang L et al. Penile rehabilitation strategy after nerve sparing radical prostatectomy: a systematic review and network meta-analysis of randomized trials. J Urol 2021; 205(4): 1018–1030. doi: 10.1097/JU.0000000000001584.

28. ISSM. Penile rehabilitation after radical prostatectomy. [online]. Available from: https://www.issm.info/sexual-health-headlines/penilerehabilitation-after-radical-prostatectomy.

2025; 29(3): 141–145

Náhodný nález karcinomu prostaty při výkonu pro benigní hyperplazii

prostaty – jak postupovat?

Incidental finding of prostate cancer during surgery for benign prostatic hyperplasia – how to proceed?

Souhrn: Incidentální karcinom prostaty zjištěný při operacích pro benigní hyperplazii prostaty (zejména transuretrální resekci prostaty) představuje specifickou klinickou situaci bez jednoznačně stanoveného standardu dalšího postupu. Tento přehledový článek shrnuje aktuální poznatky o incidenci, predikčních faktorech a možnostech diagnostiky a léčby incidentálního karcinomu prostaty. Zvláštní pozornost je věnována významu hladiny prostatického specifického antigenu po výkonu, úloze multiparametrické magnetické rezonance, významu následné biopsie a predikci přítomnosti, či absence reziduálního karcinomu. Diskutována je také role radikální prostatektomie a radioterapie, vč. rizika močové inkontinence u pacientů po předchozím chirurgickém výkonu. Cílem práce je poskytnout praktický přehled možností dalšího postupu u pacientů s incidentálním karcinomem prostaty pro urology a onkology.

Klíčová slova: incidentální karcinom prostaty – TURP – PSA – radikální prostatektomie –radioterapie

Summary: The so-called incidental prostate cancer, identified during surgical treatment for benign prostatic hyperplasia, particularly transurethral resection of the prostate, represents a specific clinical scenario with no clearly defined standard of care. This review summarizes current data on the incidence, predictive factors, and options for further diagnosis and treatment of incidental prostate cancer. Special attention is given to the role of postoperative prostate specific antigen levels, multiparametric magnetic resonance imaging, the value of subsequent biopsy, and the prediction of residual cancer presence or absence. The roles of radical prostatectomy and radiotherapy are also discussed, including the risk of urinary incontinence in patients with prior prostate surgery. The aim of this article is to provide a practical overview for urologists and oncologists when making decisions about further management of patients with incidental prostate cancer.

Key words: incidental prostate cancer – TUR-P – PSA – radical prostatectomy – radiotherapy

Úvod

Karcinom prostaty (KP) je nejčastějším zhoubným nádorem u mužů v Evropě i USA. Podle údajů Cancer Statistics 2024 je v USA každoročně diagnostikováno přes 290 000 nových případů, přičemž na toto onemocnění umírá přibližně 35 000 mužů [1]. Také v České republice zaujímá KP první místo v incidenci nádorů u mužů s téměř 10 000 novými případy v roce 2022 [2]. Chirurgická léčba benigní hyperplazie

Peter Polaček

Otakar Čapoun

Martin Malý

Filip Vlček

Alžběta Kantorová

Viktor Soukup

Urologická klinika

1. LF UK a VFN v Praze

MUDr. Peter Polaček

Urologická klinika 1. LF UK a VFN v Praze

Ke Karlovu 6

128 00 Praha 2 peter.polacek@vfn.cz

Doručeno: 27. 6. 2025

Přijato: 8. 9. 2025

prostaty (BHP), zejména transuretrální resekce prostaty (TURP) a holmiová laserová enukleace (HoLEP), může vést k náhodnému záchytu karcinomu, tzv. incidentálnímu KP (IKP). Postup po náhodném záchytu zůstává nejednotný. Otázky, zda je nádor klinicky významný, jaký má být další diagnostický algoritmus a jaké jsou možnosti léčby, jsou stále předmětem diskuze. Cílem této práce je shrnout aktuální poznatky a nabídnout přehled doporučených postupů pro klinickou praxi.

Epidemiologie IKP

V nedávno publikovaném systematickém přehledu a metaanalýze byla zhodnocena incidence a rizikové faktory pro záchyt IKP při určitých výkonech pro BHP [3]. Autoři zahrnuli celkem 23 observačních studií s téměř 100 000 pacienty, kteří podstoupili chirurgickou léčbu BHP (TURP, HoLEP a otevřená prostatektomie – PE). IKP byl diagnostikován u 26,1 % pacientů, což naznačuje vyšší záchyt, než je obvykle udáváno v dřívější literatuře. Mezi jednotlivými typy výkonů nebyly patrné významné rozdíly ve zjištění IKP: 10 % po TURP, 9 % po HoLEP a 11 % po PE. S nástupem testování prostatického specifického antigenu (PSA) a širší dostupností multiparametrické magnetické rezonance (mpMRI – multiparametric magnetic resonance imaging) došlo k významnému poklesu detekce IKP při výkonech pro BHP, protože mnoho nádorů je nyní diagnostikováno ještě před chirurgickým výkonem. V éře PSA se míra náhodně zjištěného KP snížila o více než 50 % [4]. Většina IKP bývá nízkého rizika (International Society of Urological Pathology Grade Group – ISUP GG = 1) a lokalizována na prostatu (stadium T1a nebo T1b). Pro úplnost je vhodné zmínit, že IKP je poměrně častým nálezem i v preparátech po radikální cystoprostatektomii pro karcinom močového měchýře, kde byla v českých souborech incidence udávána mezi 14,6 a 24,4 % [5,6]. Tento nález má odlišný klinický význam, avšak dokládá vysokou prevalenci latentního KP v mužské populaci.

Prediktivní parametry záchytu IKP

Z hlediska rizikových faktorů analýza Guo et al. identifikovala zvýšenou hladinu PSA jako jediný signifikantní prediktor přítomnosti IKP (odds ratio – OR 1,13; 95% CI 1,04–1,23; p = 0,004). Naopak věk pacienta (OR 1,02; 95% CI 0,97–1,06; p = 0,48) ani objem prostaty (OR 0,99; 95% CI 0,96–1,03; p = 0,686) neprokázaly statisticky významný vztah s výskytem IKP. Výsledky tak zpochybňují některé běžně uváděné teorie o vztahu mezi objemem prostaty a rizikem náhodného karcinomu. Významnou roli může hrát i kvalita histopatologického vyšetření odebrané tkáně a rozdíly v chirurgické technice [3]. Také na našem pracovišti jsme hodnotili prediktivní parametry záchytu IKP. V období od ledna 2019 do prosince 2021 podstoupilo celkem 444 pacientů desobstrukční výkon pro BHP, tj. TURP nebo PE. KP byl zjištěn u 45 (10 %) mužů, z toho u 15 (3,4 %) byl nádor hodnocen jako klinicky signifikantní (GG ≥ 2). Stadium T1a jsme zaznamenali u 29 (64 %) pacientů. U 19 pacientů jsme doplnili standardní biopsii prostaty, z nichž u sedmi byl opět verifikován KP vč. jednoho s klinicky významným nádorem. Celkem u 24 (53,3 %) pacientů jsme doporučili konzervativní postup, 16 pacientů podstoupilo radikální léčbu, u dvou byla zahájena systémová léčba. Statisticky významné pro predikci IKP v resekátu byly poměr volného a vázaného PSA (p = 0,037), velikost prostaty (p = 0,003) a hmotnost resekované tkáně (p = 0,006), pro klinicky významný KP pak pouze velikost prostaty (p = 0,019), na

rozdíl od výše uvedené práce tedy naše data vztah mezi velikostí prostaty a výskytem IKP potvrzují [7].

Význam PSA po záchytu IKP

Sledování PSA po IKP je klíčové pro odhad rizika přítomnosti klinicky významného onemocnění. Vzhledem k tomu, že resekce při výkonech pro BHP odstraní část prostaty, a tím i zdroj PSA, je třeba změnu hladiny interpretovat opatrně. Po TURP nebo HoLEP lze očekávat pokles hladiny PSA úměrně množství odstraněné prostatické tkáně. Běžně se uvádí pokles o 30–70 %, přičemž větší pokles bývá po HoLEP. K objektivnímu hodnocení zbytkového PSA se doporučuje první kontrolní odběr provést nejdříve za 6 týdnů po výkonu, kdy ustupuje pooperační zánět a regenerace epitelu [8]. Ve studii autorů z Bordeaux zahrnující 1 247 pacientů po HoLEP byla incidence IKP 10,7 %. Z celkového počtu 134 pacientů s IKP mělo 25 (18,6 %) klinickou progresi během průměrného sledování 32 měsíců. Jediným nezávislým prediktorem progrese v multivariační analýze byla hodnota PSA ≥ 2 ng/ml 3 měsíce po výkonu (OR 2,35; 95% CI 1,56–3,51; p < 0,001). Pacienti s kombinací stadia T1b a PSA ≥ 2 ng/ml měli výrazně vyšší riziko progrese (OR 49,4; 95% CI 11,8–341,5; p < 0,001), zatímco pacienti se stadiem T1a a PSA < 2 ng/ml měli riziko minimální (OR 0,05; 95% CI 0,01–0,20; p < 0,001). Autoři navrhují, že tyto parametry by mohly sloužit k identifikaci pacientů, kteří budou profitovat z časné léčby či intenzivnějšího sledování [9]. Trvale zvýšené nebo nově stoupající hladiny PSA po výkonu tedy mohou být indikátorem reziduálního karcinomu nebo de novo vznikajícího onemocnění a vyžadují další vyšetření – typicky mpMRI, případně biopsii prostaty.

Význam mpMRI

Multiparametrická MRI prostaty se stala nepostradatelným nástrojem v moderní diagnostice KP. V případě IKP hraje klíčovou roli v rozhodování o dalším postupu – zejména při stanovení, zda se jedná o klinicky významný nádor vyžadující léčbu, nebo o indolentní formu vhodnou pro aktivní sledování (AS). Interpretace mpMRI po výkonech je spojena s určitými úskalími. Retrospektivní analýza 98 pacientů s IKP zjištěným po HoLEP ukázala, že mpMRI měla významnou roli v rozhodování o dalším postupu. Z 30 pacientů, kteří podstoupili mpMRI, bylo podezření na klinicky významný karcinom (Prostate Imaging-Reporting and Data System (PI-RADS) ≥ 4) zaznamenáno u třetiny z nich. V této skupině byla s vyšší pravděpodobností indikována cílená biopsie nebo radikální léčba. Dále autoři uvádějí, že prostatitida a pooperační změny, např. deformace nebo reziduální adenom, mohou komplikovat hodnocení. Pooperační hyperemie tkání tkání navíc může snižovat T2 signál. Doporučují tedy provádět vyšetření až s odstupem min. 6–12 týdnů po výkonu. Výsledky podporují použití mpMRI jako užitečného nástroje při stratifikaci pacientů s IKP po výkonech pro BHP k AS nebo dalšímu vyšetření [10].

Ces Urol 2025; 29(3): 146–151

Biopsie prostaty po náhodném nálezu IKP

Při náhodném záchytu IKP po výkonech pro BHP zůstává zásadní otázkou, zda je v prostatě přítomen klinicky významný reziduální nádor. Jelikož resekce zasahuje primárně přechodovou zónu, existuje riziko ponechání karcinomu v periferní zóně. Biopsie zůstává klíčovým krokem v rozhodovacím algoritmu, obzvláště pokud je přítomno zvýšené PSA, vyšší GG nebo suspektní ložisko na mpMRI. Retrospektivní multicentrická studie analyzovala skupinu 63 pacientů s IKP po TURP. Z nich 22 podstoupilo následnou biopsii prostaty (provedenou v průměru za 8,3 měsíce, rozmezí 1–18 měsíců, po TURP), 41 bylo přímo indikováno k radikální prostatektomii (RP) a 7 mužů podstoupilo oba výkony. Pouze 32 % pacientů mělo shodu GG mezi TURP a biopsií. U 54 % došlo ke snížení GG při biopsii (downgrading), u 14 % ke zvýšení GG (upgrading). U 86 % mužů tak biopsie po TURP nepřinesla žádnou novou diagnostickou informaci. Z těchto dat vyplývá, že rutinní provedení biopsie po TURP není ve většině případů klinicky přínosné a mělo by být zváženo individuálně, zejména u pacientů plánovaných k AS, nikoliv k radikální léčbě. Indikace k provedení biopsie v případě IKP jsou uvedeny v tab. 1. Biopsii je vhodné plánovat min. 6–8 týdnů po TURP, aby se předešlo falešným nálezům v důsledku zánětlivých nebo arteficiálních změn. Ko et al. dále poukazují na rostoucí úlohu mpMRI, která může v některých případech nahradit biopsii, obzvláště pokud se plánuje radikální řešení (např. nervy šetřící RP) [10]. Na našem pracovišti je při incidentálním záchytu KP po výkonu pro BHP standardní postup následující: s odstupem

3 měsíců od výkonu indikujeme MRI prostaty. V případě nálezu suspektních ložisek (PI-RADS ≥ 3) je následně provedena cílená fúzní biopsie doplněná o systematické odběry z periferní zóny. Cílem je upřesnit staging a zhodnotit přítomnost klinicky významného tumoru za účelem rozhodnutí o dalším terapeutickém postupu. Doporučený diagnostický algoritmus po náhodném záchytu KP je uveden v tab. 2.

Predikce kompletního odstranění IKP při výkonech pro BHP

Pacienti s IKP po RP a patologickým nálezem pT0 mají dobrou prognózu, radikální léčba proto může představovat nadbytečnou léčbu (overtreatment). Retrospektivní analýza 126 pacientů s KP stadia T1a–T1b diagnostikovaným při operaci pro BHP ukázala, že 16,7 % mužů nemělo při následné RP žádný reziduální nádor (pT0) a pouze 5,6 % mělo extrakapsulární šíření. Hladina PSA po operaci pro BHP a GG v resekátu byly nezávislými prediktory jak přítomnosti reziduálního karcinomu, tak biochemické recidivy. Stadium T1a vs. T1b nebylo statisticky významným prediktorem. Pětileté, resp. 10leté přežití bez biochemické recidivy dosáhlo 92, resp. 87 %. Autoři navrhují, že pacienti s nízkým PSA (< 1 ng/ml) a nízkým GG po operaci pro BHP mohou mít minimální riziko reziduálního karcinomu [12]. V jiné kohortě 95 pacientů s IKP, kteří následně podstoupili RP, nebyl v 29,5 % případů nalezen žádný reziduální karcinom. Multivariační analýza prokázala, že negativní nález na mpMRI a nízká PSA denzita (< 0,08 ng/ml/ml) po operaci pro BHP byly nezávislými prediktory pro pT0 stadium.

Tab. 1. Indikace pro biopsii prostaty při náhodném záchytu karcinomu prostaty dle Ko et al. [10] a Lee et al. [11].

Tab. 1. Indications for prostate biopsy following incidental prostate cancer detection according to Ko et al. [10] and Lee et al. [11]

Indikace pro biopsii

nízký GG (= 1) a zvažované aktivní sledování

vysoký nádorový objem v resekátu

Poznámka

potřeba potvrzení nebo upřesnění rozsahu onemocnění

může naznačovat významné onemocnění mimo resekovaný objem podezření na nález v zóně mimo oblast resekce (nejčastěji periferní zóna)

Biopsie není rutinně indikována

vyšší GG (≥ 2) s indikací kurativní léčby

pokročilejší případy

např. dle zobrazovacích metod (mpMRI)

Poznámka

radikální léčba jako definitivní řešení, další biopsie není přínosná

rozhodování podle mpMRI, dynamiky PSA a klinického stagingu

GG – International Society of Urological Pathology (ISUP) Grade Group, mpMRI – multiparametrická magnetická rezonance, PSA – prostatický specifický antigen

Tab. 2. Doporučený diagnostický algoritmus po náhodném záchytu karcinomu prostaty.

Tab. 2. Recommended diagnostic algorithm following incidental prostate cancer detection.

Krok Doporučení Poznámka

1. kontrola PSA za 6–8 týdnů po TURP/HoLEP zohlednit pokles hladiny dle hmotnosti resekátu

2. mpMRI prostaty za 6–12 týdnů od výkonu

nutné pro zhodnocení periferní zóny

3. biopsie prostaty pokud PI-RADS ≥ 3 nebo PSA trvale zvýšené cílená + systematická biopsie

4. rozhodnutí o léčbě na základě GG, PSA, stagingu a preferencí aktivní sledování vs. kurativní postupy

PSA – prostatický specifický antigen, TURP – transuretrální resekce prostaty, HoLEP – holmiová laserová enukleace prostaty, mpMRI – multiparametrická magnetická rezonance, PI-RADS – prostate imaging reporting and data system, GG – International Society of Urological Pathology (ISUP) Grade Group

Kombinace těchto faktorů dosáhla predikční přesnosti plochy pod křivkou 0,805 s vysokou pozitivní prediktivní hodnotou (94,1 %). Během sledování nedošlo u žádného pacienta s pT0 stadiem k biochemické recidivě [13].

Indikace a výběr léčebné strategie

Náhodný nález KP při transuretrálních výkonech představuje specifickou klinickou situaci, která vyžaduje individuální přístup k volbě léčebné strategie. Vzhledem k tomu, že tyto nádory jsou často detekovány v časném stadiu a u pacientů podstupujících operaci z jiných důvodů (nejčastěji mikční obtíže při BHP), je nutné pečlivě zvážit biologickou povahu nádoru, věk, komorbidity a také preference pacienta, hladinu PSA po výkonu a nálezy na zobrazovacích metodách. Možnosti léčby sahají od AS až po radikální přístupy, jako jsou prostatektomie nebo radioterapie. Správná indikace léčby je klíčová pro dosažení optimálních onkologických výsledků při současném zachování kvality života.

Konzervativní postupy

Aktivní sledování by mělo být zváženo u dobře diferencovaných nádorů u pacientů s nízkými hladinami PSA po výkonu. V případě IKP s pooperační denzitou PSA (< 0,08 ng/ml/ml) a negativním nálezem na MRI prostaty je malá pravděpodobnost reziduálního tumoru. Tito pacienti představují nejvhodnější skupinu pro AS [13]. U pacientů s PSA před operací < 2 ng/ ml a PSA po operaci < 1 ng/ml je pravděpodobnost kompletní remise (T0) vysoká, a proto může být AS také těmto pacientům nabídnuto [12]. Je nutné upozornit na fakt, že většina protokolů AS zařazuje pacienty v klinickém stadiu nejméně T1c (KP diagnostikovaný v biopsii prostaty na základě elevace PSA), tedy pro sledování pacientů ve stadiu T1a–T1b pevné postupy stanoveny nejsou. Není tedy jasné, zda mají všichni pacienti

Ces Urol 2025; 29(3): 146–151

s IKP podstoupit tzv. konfirmační biopsii a jak by se mělo postupovat v případě negativní biopsie prostaty. Mají mít také pravidelné MRI a biopsie prostaty, jak to vyžaduje např. protokol PRIAS (Prostate Cancer Research International: Active Surveillance) [14], nebo může být sledování volnější a lze spoléhat pouze na vývoj PSA, případně vyšetření per rektum? Režim pozorného vyčkávání (watchful waiting) je naopak velmi volný, neboť tento konzervativní postup volíme u pacientů s relativně krátkou očekávanou dobou dožití (< 10 let).

Radikální prostatektomie

Radikální prostatektomie není považována za standardní léčbu u pacientů s IKP (T1a–T1b). Podle doporučení Evropské urologické asociace jsou kurativní přístupy indikovány u pacientů s dlouhou očekávanou délkou života (> 10 let) a minimálně středně rizikovým KP [15]. V předchozím odstavci jsme ale definovali vhodné pacienty k AS, tedy ostatní by naopak měli profitovat z radikální léčby. Jedná se tak o pacienty s vyšším onkologickým rizikem (např. GG ≥ 2, perineurální šíření tumoru, PSA > 1 ng/ml po operaci). RP lze po TURP bezpečně provést, byť s mírně vyšší morbiditou, jako druhá operace je totiž obecně technicky náročnější. Jedna metaanalýza zahrnula 15 retrospektivních studií a celkem 6 840 pacientů. Výsledky ukázaly, že RP po předchozí TURP je spojena s horšími perioperačními, funkčními i onkologickými výsledky. Pacienti po TURP měli delší čas operace, vyšší krevní ztráty, častější komplikace, delší hospitalizaci, delší dobu s ponechaným močovým katetrem a vyšší míru pozitivních chirurgických okrajů. Funkčně se u nich častěji vyskytovala inkontinence (výrazně nižší kontinence po 3, 6 i 12 měsících) a poruchy potence (nižší míra erektilní funkce po 12 měsících) [16]. Ideální načasování operace po TURP je předmětem diskuze. Pooperační zánětlivá reakce a periprostatická fibróza mohou ztěžovat

radikální výkon, nicméně interval 3 měsíců od operace pro benigní onemocnění se jeví jako dostatečný [17].

Radikální radioterapie

Externí radioterapie je vhodnou alternativou léčby u pacientů s předchozím chirurgickým výkonem na prostatě, přičemž je spojena s přijatelnou kvalitou života. Brachyterapii v těchto případech nelze provést. U teleterapie je výskyt závažných dlouhodobých močových toxicit srovnatelný s pacienty, u nichž operační léčba pro BHP nebyla provedena. Jedna retrospektivní studie hodnotila funkci dolních močových cest a kvalitu života u 59 pacientů léčených radioterapií pro lokalizovaný KP, kteří měli v anamnéze chirurgickou léčbu BHP. Pacienti obdrželi střední dávku 78 Gy, téměř polovina z nich také dostala hormonální léčbu. Mírné potíže hlásilo 77,6 % mužů, středně závažné 20,7 % a závažné potíže mělo 1,7 % pacientů. Kvalitu močení hodnotilo jako uspokojivou 74,2 % pacientů. Závažná pozdní genitourinární (GU) toxicita se vyskytla jen u čtyř pacientů (6,8 %) [18]. Relativně vážnou komplikací po radioterapii u pacientů s předchozí TURP je inkontinence moči. Liu et al. hodnotili výskyt inkontinence po zevní radioterapii prostaty u 1 192 pacientů, z nichž 246 mělo v anamnéze TURP. Nově vzniklá inkontinence se vyskytla u 6,1 % pa-

cientů (stupeň ≥ 2 u 1,7 %), s vyšším výskytem u pacientů po TURP (10 vs. 6 %; p = 0,026) a u těch, kteří měli akutní GU toxicitu stupně ≥ 2 během radioterapie (11 vs. 5 %; p = 0,002). Věk, dávka v Gy ani interval od TURP nebyly signifikantními faktory [19].

Závěr

Náhodný záchyt KP při operačních výkonech pro BHP představuje specifickou klinickou situaci vyžadující individuální posouzení ohledně dalšího postupu. Rozhodování mezi AS, RP a radioterapií by mělo vycházet z kombinace histopatologických nálezů, hladiny PSA před operací i po operaci pro BHP, výsledků zobrazovacích vyšetření a odhadu délky života pacienta. AS je vhodné u pacientů s nízkým rizikem a příznivými prediktory, zatímco radikální léčba je indikována u pacientů s vyšším rizikem progrese. Budoucí výzkum by se měl zaměřit na rozvoj prediktivních modelů a integraci umělé inteligence do diagnostických algoritmů, což by mohlo významně přispět k personalizaci léčby a zlepšení klinických výsledků.

Střet zájmů: Autoři prohlašují, že v souvislosti s příspěvkem nemají žádný konflikt zájmů.

Prohlášení o podpoře: Podpořeno MZ ČR – RVO-VFN64165; ORJ 90223.

Literatura

1. Siegel RL, Giaquinto AN, Jemal A. Cancer statistics, 2024. CA Cancer J Clin 2024; 74(1): 12–49. doi: 10.3322/caac.21820.

2. Krejčí D, Mužík J, Šnábl I et al. Portál epidemiologie novotvarů v ČR. [online]. Dostupné z: https: //www.svod.cz.

3. Guo Z, He J, Huang L et al. Prevalence and risk factors of incidental prostate cancer in certain surgeries for benign prostatic hyperplasia: a systematic review and meta-analysis. Int Braz J Urol 2022; 48(6): 915–929. doi: 10.1590/S1677-5538.IBJU.2021.0653.

4. Zigeuner RE, Lipsky K, Riedler I et al. Did the rate of incidental prostate cancer change in the era of PSA testing? A retrospective study of 1127 patients. Urology 2003; 62(3): 451–455. doi: 10.1016/s0090-4295(03)00459-x.

5. Prošvic P, Morávek P, Šimáková E. Incidentální adenokarcinom prostaty u pacientů po radikální cystektomii pro uroteliální karcinom. Ces Urol 2002; 6(1): 37–40. doi: 10.48095/cccu2002009.

6. Šámal V, Richter I, Paldus V et al. Incidence karcinomu prostaty v preparátech po radikální cystoprostatektomii. Histopatologická charakteristika nádorů a posouzení vlivu histologického zpracování preparátu na incidenci nádoru. Ces Urol 2020; 24(1): 42–50. doi: 10.48095/cccu2020001.

7. Polaček P, Kantorová A, Malý M et al. Náhodný nález karcinomu prostaty po výkonu pro benigní hyperplazii prostaty – jak postupovat? Ces Urol 2024; 28(Suppl. A).

8. Tinmouth WW, Habib E, Kim SC et al. Change in serum prostate specific antigen concentration after holmium laser enucleation of the prostate: a marker for completeness of adenoma resection? J Endourol 2005; 19(5): 550–554. doi: 10.1089/end.2005.19.550.

9. Klein C, Marquette T, Capon G et al. Incidental prostate cancer after holmium laser enucleation of the prostate: incidence and predictive factors for clinical progression. Int J Clin Oncol 2022; 27(6): 1077–1083. doi: 10.1007/s10147-022-02156-2.

10. Ko KJ, Choi S, Song W. The impact of multiparametric magnetic resonance imaging on treatment strategies for incidental prostate cancer after holmium laser enucleation of the prostate. J Clin Med 2023; 12(14): 4826. doi: 10.3390/jcm12144826.

11. Lee LS, Thiruneelakandasivam S, Hong MK et al. Are transrectal prostate biopsies routinely indicated in patients with incidentally diagnosed pros tate cancer following transurethral resection of the prostate for benign disease? Urol Int 2013; 91(4): 397–403. doi: 10.1159/000350898.

12. Capitanio U, Scattoni V, Freschi M et al. Radical prostatectomy for incidental (stage T1a–T1b) prostate cancer: analysis of predictors for residual disease and biochemical recurrence. Eur Urol 2008; 54(1): 118–125. doi: 10.1016/j.eururo.2008.02.018.

13. Chung DY, Goh HJ, Koh DH et al. Clinical significance of multiparametric MRI and PSA density as predictors of residual tumor (pT0) following radical prostatectomy for T1a–T1b (incidental) prostate cancer. PLoS One 2018; 13(12): e0210037. doi: 10.1371/journal.pone.0210037.

14. Bokhorst LP, Valdagni R, Rannikko A et al. A decade of active surveillance in the PRIAS study: an update and evaluation of the criteria used to recommend a switch to active treatment. Eur Urol 2016; 70(6): 954–960. doi: 10.1016/j.eururo.2016.06.007.

15. EAU Guidelines. Edn. presented at the EAU Annual Congress Madrid 2025.

16. Li H, Zhao C, Liu P et al. Radical prostatectomy after previous transurethral resection of the prostate: a systematic review and meta-analysis. Transl Androl Urol 2019; 8(6): 712–727. doi: 10.21037/tau.2019.11.13.

17. Zugor V, Labanaris AP, Porres D et al. Surgical, oncologic, and short-term functional outcomes in patients undergoing robot-assisted prostatectomy after previous transurethral resection of the prostate. J Endourol 2012; 26(5): 515–519. doi: 10.1089/end.2011.0205.

18. Guilhen M, Hennequin C, Ouzaid I et al. Urinary function and quality of life after radiotherapy for prostate cancer in patients with prior history of surgical treatment for benign prostatic hyperplasia. Radiat Oncol 2018; 13(1): 209. doi: 10.1186/s13014-018-1149-0.

19. Liu M, Pickles T, Berthelet E et al. Urinary incontinence in prostate cancer patients treated with external beam radiotherapy. Radiother Oncol 2005; 74(2): 197–201. doi: 10.1016/j.radonc.2004.09.016.

Ces Urol 2025; 29(3): 146–151

Pozitivní chirurgické okraje u renálních malignit po záchovných operacích

ledvin – výsledky monocentrické retrospektivní analýzy

Positive surgical margins in renal malignancies after nephron-sparing surgery – results of a single-centre retrospective analysis

Souhrn: Cíl: Cílem studie bylo porovnat výskyt pozitivních chirurgických okrajů (PSM) při orgán šetřících operacích na ledvinách, průběh pooperačního sledování a komplikace u pacientů na našem pracovišti s globálními trendy. Soubor pacientů a metodika: Analýza byla provedena na souboru výkonů provedených od roku 2011 do roku 2021 na Urologické klinice FN Královské Vinohrady. Výsledky: V analyzovaném období bylo na naší klinice provedeno celkem 611 záchovných operací na ledvinách. Z tohoto počtu podstoupilo 117 pacientů laparoskopickou parciální nefrektomii (LPN) a 494 pacientů otevřenou resekci ledviny (OPN). U pacientů, kteří podstoupili OPN, byla maligní histologie potvrzena v 336 případech, přičemž PSM byl zaznamenán u 21 pacientů (6,25 %). Ve skupině pacientů podstupujících LPN byla maligní histologie potvrzena v 81 případech, z nichž PSM byl nalezen u 6 pacientů (7,4 %). Další skupinu tvořili pacienti s nejistým chirurgickým okrajem. Celkově byl v souboru pacientů, kteří podstoupili OPN, výskyt podobného typu chirurgického okraje pozorován v 16 případech (4,7 %), zatímco ve skupině pacientů podstupujících LPN bylo zaznamenáno 6 případů (7,4 %). Lokální recidiva byla zaznamenána v 5 případech a diseminace ve 4 případech ve skupině pacientů po OPN. U pacientů po LPN s prokázaným PSM nedošlo v žádném z případů k recidivě ani diseminaci onemocnění. Závěr: Výzkum potvrzuje shodu s celkovým trendem v několika klíčových aspektech. Výskyt PSM při orgán šetřících výkonech na ledvinách odpovídá hodnotám uváděným v odborné literatuře a potvrzuje, že PSM jen zřídka vedou k relapsu onemocnění. Klíčová slova: pozitivní chirurgické okraje – orgán šetřící operace – ledviny – pooperační sledování – výsledky

Summary: Objective: The aim of this study was to compare the incidence of positive surgical margins (PSM) in nephron-sparing surgeries on the kidneys, postoperative follow-up, and complications in patients at our institution with global trends. Material and methods: The analysis was conducted on a set of procedures performed at the Urology clinic of University Hospital Královské Vinohrady from 2011 to 2021. Results: During the analyzed period, a total of 611 nephron-sparing surgeries were performed at our clinic. Of these, 117 patients underwent laparoscopic partial nephrectomy (LPN) and 494 patients underwent open partial nephrectomy (OPN). Among the patients who underwent OPN, malignant histology was confirmed in 336 cases, with PSM observed in 21 patients (6.25%). In the LPN group, malignant histology was confirmed in 81 cases, with PSM found in 6 patients (7.4%). Another subgroup consisted of

Rostyslav Luzan

Petr Klézl

Jindřích Šonský

Jakub Hanych

Robert Grill

Urologická klinika 3. LF UK a FN Královské Vinohrady, Praha

MUDr. Rostyslav Luzan

Urologická klinika 3. LF UK a FN Královské Vinohrady Šrobárova 50

100 34 Praha 10 luzanr@fnkv.cz

Doručeno: 8. 12. 2024

Přijato: 13. 6. 2025

patients with uncertain surgical margins. Overall, in the cohort of patients who underwent OPN, this type of surgical margin was observed in 16 cases (4.7%), while in the LPN group, it was observed in 6 cases (7.4%). Local recurrence occurred in 5 cases and metastasis in 4 cases in the OPN group. In patients who underwent LPN with confirmed PSM, no cases of recurrence or metastasis were observed. Conclusion: This research confirms alignment with the overall trend in several key aspects. The incidence of positive surgical margins in nephron-sparing surgeries on the kidneys corresponds to the values reported in the literature and confirms that positive surgical margins rarely lead to disease relapse.

Key words: positive surgical margins – nephron-sparing surgery – kidneys – postoperative follow-up – outcomes

Úvod

Renální karcinom (RCC – renal cell carcinoma) představuje 3 % všech malignit celosvětově v populaci, s rozdíly výskytu podle pohlaví, etnického původu a geografické lokality. Nejvyšší incidence je v západních zemích Europy a v Severní Americe. V Evropě se karcinom ledviny řadí v incidenci na šesté místo mezi nádory – čtvrté nejčastější u mužů a osmé u žen. Incidence RCC trvale stoupá, s nejvyššími hodnotami v Litvě (14,5/100 000) a České republice (14,42/100 000) [1].

Operační výkon představuje jednu ze základních terapeutických modalit pro pacienty s RCC. Výběr typu operace závisí na charakteristikách nádoru, zdravotním stavu pacienta a individuálních faktorech.

Radikální nefrektomie (RN) je preferovanou metodou pro pokročilé nálezy (od T2) nebo u interně rizikových pacientů, kde není možné provést záchovný výkon – parciální nefrektomii (PN). RN nabízí výhody, jako je rychlý výkon, radikalita ošetření, nižší krevní ztráta a menší riziko časných pooperačních komplikací. Avšak nevýhody zahrnují vyšší riziko renální insuficience a kardiovaskulárních onemocnění.

PN je doporučenou metodou pro malé nálezy (T1a), ale je zvažována i pro vyšší stadia (T1b) a specifické případy (např. solitární ledvina). Volba mezi PN a RN by měla být individuální, s ohledem na velikost nádoru, jeho umístění a komorbidity pacienta. PN má výhody, jako jsou lepší zachování funkce ledviny a nižší výskyt kardiovaskulárních příhod. Časté komplikace PN zahrnují vyšší riziko pooperačního krvácení a urinárního leaku. Zvláštní pozornost je věnována výskytu pozitivních chirurgických okrajů (PSM – positive surgical margins), což je téma naší práce.

V kontextu záchovného výkonu hodnotíme chirurgický bezpečný okraj. Zároveň je zkoumán koncept negativního chirurgického okraje (R0), který odpovídá šířce zdravé tkáně ponechané kolem nádoru, jež je nezbytná pro minimalizaci rizika lokální recidivy. Optimální velikost tohoto okraje zůstává předmětem diskuzí, přičemž dostupné studie uvádějí variabilitu této hodnoty v rozmezí 1 cm až 5 mm [2–4]. Dále je důležité zmínit, že studie porovnávající resekci ledviny a prostou enukleaci neprokázaly signifikantní rozdíl ve výskytu PSM. Tento fakt naznačuje, že za negativní lze považovat jakýkoliv okraj, ve kterém nejsou přítomny reziduální nádorové struktury [5].

Ces Urol 2025; 29(3): 152–157

Okraj je označen jako pozitivní (R1), když jsou detekovány nádorové buňky v okolí resekce, což může signalizovat přítomnost možného rezidua nádoru v ponechané zdravé tkáni ledviny. Rx označuje nejistý chirurgický okraj, kde nelze jednoznačně určit přítomnost nádorových buněk. V tomto okamžiku je relevantní podotknout, že přítomnost R1/Rx okraje nemusí nutně znamenat, že pacient patří do rizikové skupiny pro vznik recidivy či diseminaci onemocnění. To potvrzují nejen aktuální studie [6], ale také vlastní zkušenosti.

Z pohledu současné urologie je významným tématem porovnání otevřené resekce ledviny (OPN – open partial nephrectomy), laparoskopické resekce ledviny (LPN – laparoscopic partial nephrectomy) a robotické metody jako dominantních přístupů operačních výkonů. Je důležité si uvědomit, že incidence PSM může být kontroverzní [7–9]. Podobné diskrepance ve výsledcích mohou být ovlivněny různými faktory, jako jsou zkušenosti chirurga, velikost, četnost a umístění nádoru. V naší analýze jsme vycházeli z hodnoty výskytu PSM v rozmezí 2–8 %, která byla prezentována v odborné literatuře a sloužila k porovnání s vlastním souborem [10,11].

Soubor pacientů a metodika

V naší práci se jedná o retrospektivní zhodnocení výkonů provedených na Urologické klinice FN Královské Vinohrady (FNKV) v průběhu 10 let (2011–2021). Hlavním cílem této studie bylo porovnat výsledky orgán šetřících výkonů na ledvinách, výskyt PSM u různých operačních technik a jejich vliv na prognózu pacientů naší kliniky v kontextu celosvětových trendů.

Histopatologické hodnocení bylo provedeno patologicko-anatomickým ústavem FNKV a 3. LF UK. Při histologickém hodnocení preparátů orgán šetřících výkonů byl R1 okraj definován jako ten, u něhož se mikroskopicky prokazují nádorové struktury zasahující do resekčního okraje. Rx okraj je ten, u kterého nelze přesně určit přítomnost nádorových buněk v resekčním okraji. K tomu nejčastěji dochází z důvodu poškození preparátu při extrakci, diatermickém poškození nebo natržení kapsuly nádoru.

Provedení výkonu na naší klinice se vždy stanovuje na základě multidisciplinárního přístupu. Rentgenová dokumentace pacientů s nádory ledvin je standardně konzultována s radiology. Každý případ je individuálně zhodnocen

s ohledem na celkový zdravotní stav pacienta, klinické a prognostické faktory, s cílem vybrat optimální operační přístup. Po operacích jsou výsledky histologie konzultovány uroonkologickým týmem.

Obecné zásady nefron šetřících výkonů zahrnují zajištění onkologické bezpečnosti, minimalizaci komplikací v průběhu operace a po ní a dosažení co nejlepších funkčních výsledků po operaci. K tomu je třeba zvážit přístupnost nádoru pro resekci, změny v operačním poli a fyzickou kondici pacienta pro plánovaný zákrok. Na základě analýzy dostupných informací byla OPN indikována v případech s horší lokalizací tumoru, větší velikostí léze nebo jinými faktory komplikujícími výkon (např. celkový stav pacienta, solitární ledvina, multifokální ložisko). LPN byla zvolena zejména pro nádory charakterizované menší velikostí a příznivější lokalizací.

Výsledky

V analyzovaném období bylo na naší klinice celkem provedeno 1 953 operací, z toho 1 342 RN a 611 PN. Ze souboru záchovných operací podstoupilo 117 pacientů LPN a 494 pacientů OPN. U pacientů, kteří podstoupili OPN, byla maligní histologie potvrzena v 336 případech. PSM byl zaznamenán u 21 pacientů (6,25 %). Ve skupině pacientů podstupujících LPN byla maligní histologie potvrzena u 81 pacientů, PSM byl nalezen v 6 případech (7,4 %). Další skupinu tvořili pacienti s Rx okrajem. Celkem v souboru pacientů, kteří podstoupili OPN, byl výskyt tohoto typu chirurgického okraje pozorován v 16 případech (4,7 %), zatímco ve skupině pacientů podstupujících LPN bylo 6 případů (7,4 %) (tab. 1).

Každý pacient s PSM byl individuálně konzultován multidisciplinárním týmem a podrobně informován o možnostech dalšího postupu. Během edukačních rozhovorů s pacienty byl navržen individuální přístup, který zahrnoval možnosti salvage výkonu (nefrektomie či re-resekce ledviny), radiofrekvenční ablace (RFA) nebo aktivního sledování. Pouze jeden pacient ze skupiny LPN preferoval provedení salvage nefrektomie, avšak v definitivní histologii nebyly zjištěny známky maligních změn. Ostatní pacienti byli zařazeni do pečlivého sledování. Většina z nich podstoupila restagingové CT hrudníku, břicha a malé pánve po 6 měsících od výkonu. Celková doba sledování na klinice byla přibližně 2 roky. V případě absence známek diseminace či recidivy byli pacienti přesměrováni do péče obvodních urologů.

Lokální recidiva byla ve skupině pacientů s PSM po OPN zaznamenána v 5 případech (tab. 2). Primární histologické nálezy vykazovaly heterogenitu. Indikací k OPN byla u těchto pacientů větší velikost nádoru (od pT1b výše) nebo obtížný operační terén. Mezi faktory komplikující operační výkon patřila intraparenchymová lokalizace tumoru, přítomnost četných cyst a pooperační změny po předchozích výkonech. Ve dvou případech byla lokální recidiva diagnostikována v dlouhodobém horizontu, konkrétně po 8 a 9 letech od

Tab. 1. Porovnání výskytu pozitivních (R1) a nejistých (Rx) chirurgických okrajů po laparoskopické vs. otevřené resekci ledviny. Tab. 1. Comparison of positive (R1) and indeterminate (Rx) surgical margins in laparoscopic vs. open partial nephrectomy.

LPN OPN

celkový počet pacientů 117 494

počet maligních histologií 81 336

R1 6 (7,4 %) 21 (6,25 %)

Rx 6 (7,4 %) 16 (4 ,7 %)

LPN – laparoskopická parciální nefrektomie, OPN – otevřená parciální nefrektomie

primární resekce. Histologický nález po vstupním výkonu u prvního pacienta odpovídal světlobuněčnému renálnímu karcinomu (ccRCC – clear cell renal cell carcinoma) s klasifikací nejméně pT1a, grade 2. U druhého pacienta se jednalo o ccRCC pT1b, grade 3. Po odhalení recidivy, s ohledem na věk a komorbidity pacientů, byla po dohodě s intervenčním radiologem FNKV indikována RFA. Výkon proběhl bez komplikací. Pacienti byli dále sledováni na Urologické klinice FNKV. První kontrolní CT bylo provedeno po 3 měsících, následovalo vyšetření po 6 a 12 měsících. Po potvrzení absence lokální recidivy byli pacienti předáni do péče obvodních urologů k dalšímu sledování.

Další tři případy v této subskupině tvořili pacienti, kteří podstoupili operační řešení recidivy. První pacient byl primárně operován pro bilaterální výskyt nádorů ledvin. Vzhledem k velikosti nálezů byla indikována LPN ve dvou fázích. Histologický nález na pravé ledvině odpovídal ccRCC pT1a, grade 1, R0, zatímco na levé ledvině byl R1 u nádoru ccRCC pT1a, grade  1. Vzhledem k minimální invazi (dle patologického posouzení přibližně do 1 mm) bylo po konzultaci s pacientem rozhodnuto o aktivním sledování. První restagingové CT bylo provedeno za 6 měsíců, druhé za 12 měsíců po výkonu. Vzhledem ke stabilnímu stavu a absenci známek recidivy či diseminace byl pacient přesměrován do péče spádové urologické ambulance, kde pokračovalo sledování. Lokální recidiva byla diagnostikována 8 let po primárním výkonu. S ohledem na předchozí operační zátěž byla indikována OPN vlevo. Definitivní histologické vyšetření potvrdilo ccRCC pT1a, R0. Pacient nadále zůstává v pravidelném urologickém sledování.

U dalšího pacienta byla primárně provedena OPN pro multifokální ložiskové změny parenchymu pravé ledviny. Definitivní

Tab. 2. Soubor pacientů s lokální recidivou po otevřené parciální nefrektomii a přehled zvoleného terapeutického postupu.

Tab. 2. Patients with local recurrence after open partial nephrectomy and overview of selected therapeutic approaches.

1 pT1a, G2

2 pT1b, G3

3 I.dx. pT1a, G1 / I.sin. pT1a, G1

4 pT1a, G2

5 primární pT1a, G3 / satelitní pT1a, G1

ccRCC – světlobuněčný renální karcinom, RFA – radiofrekvenční ablace, OPN – otevřená parciální nefrektomie, RN – radikální nefrektomie

histologické vyšetření potvrdilo ccRCC pT1a, grade 2, přičemž vzhledem k poškození pouzdra nádoru při resekci byl chirurgický okraj hodnocen jako R1. Standardně bylo provedeno restagingové CT po 6 a 12 měsících od výkonu. Po potvrzení absence lokální recidivy či vzdálené progrese pokračovalo sledování pacienta ve spádové urologické ambulanci. Odtud byl po 6 letech odeslán zpět na naše pracoviště pro prokázanou lokální recidivu. Vzhledem ke zdravotnímu stavu pacienta, velikosti nádoru a pooperačnímu terénu byla indikována RN. Definitivní histologický závěr odpovídal ccRCC pT3a, grade 1, R0. Poslední případ z uvedené subskupiny se týkal pacienta, který v minulosti podstoupil nefrektomii vlevo pro ccRCC pT3a, grade 2, přičemž chirurgický okraj byl negativní. Pacient byl nadále sledován ve spádové urologické ambulanci, odkud byl po 6 letech od primární operace odeslán k dalšímu vyšetření pro suspektní recidivu nádoru v solitární pravé ledvině. Byla provedena OPN, při níž bylo resekováno hlavní nádorové ložisko, které v definitivním histologickém vyšetření odpovídalo ccRCC pT1a, grade 3, R0. Dále byla identifikována dvě satelitní ložiska, u nichž definitivní histologie potvrdila ccRCC pT1a, grade 1, R1. Další sledování pacienta bylo komplikováno jeho obavou z covidu-19, kvůli níž se pacient rok a půl po výkonu nedostavil na žádnou kontrolu. V době, kdy byly kontroly obnoveny, již byly přítomny známky diseminace tumoru do plic. Pacient byl následně předán do péče Onkologické kliniky FNKV, kde i přes zahájení systémové léčby zemřel.

Ve sledovaném období byly odhaleny čtyři případy diseminace onemocnění, z toho u dvou pacientů s Rx okrajem a u dvou pacientů s R1 okrajem (tab. 3).

První pacient podstoupil nefrektomii na jiném pracovišti, přičemž vstupní histologický nález odpovídal ccRCC pT1b,

diseminace

grade 3. Pacient byl následně sledován ve spádové urologické ambulanci a na naši kliniku byl odeslán po 5 letech od primárního výkonu pro recidivu nádoru v solitární pravé ledvině. Vzhledem k intrarenální poloze tumoru a nutnosti zachování funkčního parenchymu byla indikována OPN. Pro technickou náročnost resekce byl definitivní histologický nález hodnocen jako ccRCC pT1a, grade 2, Rx. Během prvního restagingového vyšetření (po 3 měsících od operace) byla prokázána plicní diseminace.

Druhý pacient primárně podstoupil nefrektomii vpravo pro ccRCC pT1b, grade 3. Po 5 letech sledování byla provedena OPN solitární ledviny pro recidivu nádoru. Definitivní histologický nález byl hodnocen jako ccRCC pT1a (nejméně), Rx vzhledem k poškození nádorového pouzdra. Během restagingového vyšetření po 6 měsících od výkonu bylo zjištěno metastatické postižení pravé nadledviny, což vedlo k indikaci laparoskopické adrenalektomie. Po 2 letech sledování (CT po 6, 12, 18 a 24 měsících po adrenalektomii) byla prokázána diseminace do plic.

Třetí pacient byl operován pro primární tumor pravé ledviny. Byla provedena OPN, přičemž definitivní histologické vyšetření potvrdilo ccRCC pT1a, R1. Po konzultaci s pacientem bylo zvoleno aktivní sledování. Po 12 měsících sledování prokázalo CT diseminaci tumoru do plic, avšak bez známek lokální recidivy.

Čtvrtý pacient podstoupil nefrektomii vpravo na jiném pracovišti pro ccRCC pT3a, grade 2 a byl po 2 letech sledování ve spádové ambulanci odeslán k OPN. Definitivní histologický nález odpovídal ccRCC pT3a, grade 2, R1. Již během prvního restagingového vyšetření (po 3 měsících od výkonu) byla verifikována diseminace do plic.

Všichni pacienti s prokázanou diseminací byli předáni do péče Onkologické kliniky FNKV, kde podstoupili systémovou terapii s různým stupněm úspěšnosti v každém jednotlivém případě.

Ve skupině pacientů, kteří podstoupili LPN s výskytem Rx/ R1 okrajů, dominoval nález ccRCC pT1a. U těchto pacientů nedošlo k lokální recidivě ani k diseminaci onkologického onemocnění. Po ročním sledování na klinice, které zahrnovalo kontrolní CT vyšetření po 6 a 12 měsících od výkonu, byli pacienti při absenci známek diseminace či recidivy přesměrováni k dalšímu sledování do spádových urologických ambulancí.

Diskuze

RCC zůstává jedním z významných onkologických onemocnění, které přitahuje pozornost kvůli trendu celosvětově rostoucí incidence. Ačkoliv v případě nádorů ledvin neexistuje v České republice screeningový program, zdokonalení diagnostických metod vede k častějšímu odhalení RCC v časných stadiích onemocnění. Rozvoj chirurgických metod dále zvyšuje využití orgán šetřících operací, což vede ke zlepšení kvality života pacientů, avšak zároveň může přispět k vyššímu výskytu PSM.

Otázka PSM je různorodě diskutována v odborných článcích a variabilita jejich výskytu je spojena s několika faktory, jako jsou zkušenosti chirurga a stratifikace pacienta na základě znalostí stavu onkologického onemocnění.

Na základě našeho souboru lze pozorovat určitou selekci pacientů. Laparoskopické výkony byly prováděny zejména u pacientů s pT1a nádory v relativně dostupné lokalizaci. Oproti tomu byla OPN indikována u pacientů s většími vstupními nálezy (od pT1b a výše), v případě složitějšího operačního terénu (multifokální ložiska, intraparenchymová lokalizace apod.) nebo při nutnosti přesnější chirurgické kontroly (např. solitární ledvina).

Lze poukázat na určitou souvislost – při laparoskopické i robotické resekci může během manipulace nástroji dojít k poškození pseudopouzdra nádoru, což může vést ke zvýšení incidence Rx/R1 okrajů. Tento nález však nemusí mít klinický význam a může být nesignifikantní. Tuto skutečnost potvrzuje i naše zkušenost, kdy ve skupině pacientů s Rx/R1 okrajem po LPN nebyl zaznamenán žádný případ lokální recidivy ani diseminace onemocnění. Naopak vzhledem k výskytu lokální recidivy či dokonce diseminace u pacientů po OPN lze v těchto případech považovat Rx/R1 okraje za klinicky významné. V tomto kontextu je však nutné zdůraznit několik skutečností, které se vyskytují v našem souboru:

1. K lokální recidivě došlo s delším odstupem od primárního výkonu, konkrétně v intervalu 5–9 let.

2. Pacienti s prokázanou diseminací měli ve většině případů multifokální výskyt onemocnění nebo recidivu v časovém rozmezí 2–5 let od primárního výkonu.

3. K diseminaci docházelo relativně krátce po posledním výkonu, přičemž medián byl přibližně 1 rok od operace.

Jedním z důvodů provedení studie bylo porovnání výskytu PSM v našem souboru. Jako referenční hodnoty bylo zvoleno rozmezí 2–8 % [10,11]. Naše výsledky se pohybovaly v rámci tohoto rozmezí a vykazovaly shodu s údaji uvedenými v literatuře, se kterou jsme prováděli srovnání.

Vzhledem k tomu, že retrospektivní studie hodnotící riziko generalizace a přežití bez progrese při PSM přinášejí nejednoznačné výsledky, vyvstává otázka, zda je námi zvolená strategie sledování dostačující [12]. Analýza ukazuje, že diseminace byla zaznamenána v pěti případech napříč oběma podskupinami a lokální recidiva v pěti případech, přičemž téměř všechny byly včas detekovány a odpovídajícím způsobem řešeny. Na základě těchto zjištění lze konstatovat, že

Tab. 3. Přehled případů diseminace renálního karcinomu po otevřené resekci ledviny.

Tab. 3. Overview of renal carcinoma dissemination cases after open partial nephrectomy.

Typ výkonu Histologický typ TNM klasifikace Chirurgický okraj Čas do progrese Orgán diseminace

1

2

3

4

roky nadledvina, plíce

3 měsíce plíce

OPN – otevřená parciální nefrektomie, ccRCC – světlobuněčný renální karcinom, Rx – nejistý, R1 – pozitivní

Ces Urol 2025; 29(3): 152–157

individuálně nastavený systém restagingového sledování na našem pracovišti se jeví jako dostatečný pro prevenci recidivy či relapsu onemocnění.

Je nepochybné, že multioborový přístup a aktivní spolupráce s pacientem hrají klíčovou roli v dalším postupu při výskytu PSM. V takových případech by měl být nabídnut individualizovaný terapeutický plán, který zohledňuje specifické klinické podmínky pacienta a jeho individuální rizikové faktory. Tento přístup nejen zvyšuje pravděpodobnost úspěšné léčby, ale zároveň přispívá ke zlepšení kvality života pacientů a optimalizaci jejich dlouhodobých onkologických výsledků.

Závěr

Na závěr lze uvést, že výskyt PSM je jen v omezené míře spojen s lokální recidivou nebo diseminací nádorového onemocnění, což bylo potvrzeno i v rámci našeho souboru. Otázka

Literatura

pooperačního managementu u pacientů s PSM zůstává nadále kontroverzní a vyžaduje individuální a multidisciplinární přístup.

Nejefektivnějším způsobem prevence pozitivních okrajů je zlepšení předoperační stratifikace pacientů (např. použití RENAL score) [13] a zdokonalení operační techniky. S vývojem robotické chirurgie a stále pokročilejšími prognostickými systémy je naděje na další snížení výskytu pozitivních okrajů u pacientů, kteří podstupují záchovné chirurgické výkony.

Základem pro dlouhodobé přežívání pacientů s PSM je multioborová spolupráce.

Střet zájmů: Autoři prohlašují, že v souvislosti s příspěvkem nemají žádný konflikt zájmů

Prohlášení o podpoře: Práce nebyla podpořena žádnou společností, grantem ani jinou formou externí finanční podpory.

1. Capitanio U, Bansalah K, Axel B et al. Epidemiology of renal cell carcinoma. Eur Urol 2019; 75(1): 74–84. doi: 10.1016/j.eururo.2018.08.036.

2. Li QN, Guan HW, Zhang QP et al. Optimal margin in nephron-sparing surgery for renal cell carcinoma 4 cm or less. Eur Urol 2003; 44(4): 448–451. doi: 10.1016/s0302-2838(03)00310-5.

3. Snarskis C, Calaway AC, Wang L et al. Standardized reporting of microscopic renal tumor margins: introduction of the renal tumor capsule invasion scoring system. J Urol 2017; 197(1): 23–30. doi: 10.1016/j.juro.2016.07.086.

4. Minervini A, di Cristofano C, Lapini A et al. Histopathologic analysis of peritumoral pseudocapsule and surgical margin status after tumor enucleation for renal cell carcinoma. Eur Urol 2009; 55(6): 1410–1418. doi: 10.1016/j.eururo.2008.07.038.

5. Bertolo R, Pecoraro A, Carbonara U et al. Resection techniques during robotic partial nephrectomy: a systematic review. Eur Urol Open Sci 2023; 52: 7–21. doi: 10.1016/j.euros.2023.03.008.

6. Bensalah K, Pantuck AJ, Rioux-Leclercq N et al. Positive surgical margin appears to have negligible impact on survival of renal cell carcinomas treated by nephron-sparing surgery. Eur Urol 2010; 57(3): 466–471. doi: 10.1016/j.eururo.2009.03.048.

7. Gill IS, Martin SF, Desai MM et al. Comparative analysis of laparoscopic versus open partial nephrectomy for renal tumors in 200 patients. J Urol 2003; 170(1): 64–68. doi: 10.1097/01.ju.0000072272.02322.ff.

8. Gill IS, Kavousii LR, Lane BR et al. Comparison of laparoscopic and open partial nephrectomies for single renal tumors. J Urol 2007; 178(1): 41–46. doi: 10.1016/j.juro.2007.03.038.

9. Zhang L, Wu B, Zha Z et al. The correlation of clinicopathological features with the status of surgical margins in renal cell cancer patients following nephron-sparing surgery: a systematic review and meta-analysis. Front Oncol 2019; 9: 648. doi: 10.3389/fonc.2019.00648.

10. Carvalho JA, Nunes P, Tavares-da-Silva E et al. Impact of positive surgical margins after partial nephrectomy. Eur Urol Open Sci 2020; 21: 41–46. doi: 10.1016/j.euros.2020.08.006.

11. Tabayoyong W, Abousally R, Kiechle JE et al. Variation in surgical margin status by surgical approach among patients undergoing partial nephrectomy for small renal masses. J Urol 2015; 194(6): 1548–1553. doi: 10.1016/j.juro.2015.06.076.

12. Tellini R, Antonelli A, Tardanico R et al. Positive surgical margins predict progression-free survival after nephron-sparing surgery for renal cell carcinoma: results from a single center cohort of 459 cases with a minimum follow-up of 5 years. Clin Genitourin Cancer 2019; 17(1): e26–e31. doi: 10.1016/j.clgc.2018.08.004.

13. Kutikov A, Uzzo RG. The R.E.N.A.L. nephrometry score: a comprehensive standardized system for quantitating renal tumor size, location and depth. J Urol 2009; 182(3): 844–853. doi: 10.1016/j.juro.2009.05.035.

Ces Urol 2025; 29(3): 152–157

Zhodnocení onkologických výsledků pomocí prognostických modelů

u pacientů operovaných pro renální karcinom – zkušenosti jednoho pracoviště

Evaluation of oncological outcomes using prognostic models in patients operated on for renal cancer – experience from a single center

Hlavní stanovisko práce: Práce si klade za cíl vyhodnotit výsledky operační léčby renálního karcinomu na Urologické klinice FN Brno v letech 2014–2022 pomocí prognostických modelů. Major statement: This paper aims to evaluate the outcomes of patients who underwent surgical treatment of renal cell carcinoma at the Department of Urology of the University Hospital Brno between 2014 and 2022 using the prognostic models.

Souhrn: Cíl studie: Cílem této studie je vyhodnotit soubor pacientů operovaných pro renální karcinom na našem pracovišti s ohledem na prognostické faktory a s využitím prognostických modelů podle Leiboviche a GRANT skóre. Soubor pacientů a metody: Bylo provedeno retrospektivní vyhodnocení základních dat pacientů, kteří podstoupili radikální či parciální nefrektomii na Urologické klinice FN Brno mezi lety 2014 a 2022. Pacienti byly rozděleni do prognostických skupin na základě klinických a patologických charakteristik zahrnutých do běžně využívaných prognostických modelů (Leibovich 2003 a GRANT skóre). Pro jednotlivé rizikové skupiny bylo stanoveno 5leté přežití bez progrese. Jako komplikace výkonu byly hodnoceny závažné komplikace stupně Clavien-Dindo IIIb–V. Výsledky: Mezi lety 2014 a 2022 bylo na našem pracovišti operováno 482 pacientů s podezřením na tumor ledviny, z toho bylo 312 mužů (64,7 %) a 170 žen (35,3 %). V definitivní histologii byly maligní nálezy potvrzeny u 424 pacientů (87,9 %), 58 nálezů bylo histologicky benigních (12,1 %). Recidiva se vyskytla u 35 pacientů s renálním karcinomem, což odpovídá 8,3 % případů s mediánem odstupu 33 měsíců od operace. Pětileté přežití bez progrese pro skupinu s nízkým, středním a vysokým rizikem dle Leibovichova modelu bylo 94,8; 89,6; resp. 63,2 %, dle modelu GRANT 94,1; 95,0; resp. 73,6 % v případě nula, jednoho, resp. dvou přítomných faktorů. Závěr: Naše analýza potvrzuje důležitost používání zavedených prognostických modelů pro renální karcinom, jako jsou Leibovich a GRANT skóre, při hodnocení rizika recidivy a celkového přežití po chirurgické léčbě. Oba skórovací systémy prokázaly svou schopnost rozlišit mezi pacienty s příznivou a nepříznivou prognózou.

Klíčová slova: parciální nefrektomie – prognostický model – radikální nefrektomie – renální karcinom – rizikové faktory

Marek Kašík

Michal Fedorko

Urologická klinika

LF MU a FN Brno

MUDr. Marek Kašík

Urologická klinika

LF MU a FN Brno

Jihlavská 20

625 00 Brno kasik.marek@fnbrno.cz

Doručeno: 15. 5. 2025

Přijato: 14. 7. 2025

Summary: Objectives of the study: The aim of this study was to evaluate the cohort of patients with surgical treatment of renal cell carcinoma at our institution with regard to prognostic factors using the Leibovich and GRANT prognostic models. Patients and methods: A retrospective evaluation was performed of baseline data of patients who underwent radical or partial nephrectomy at the Department of Urology, University Hospital Brno between 2014 and 2022. Patients were stratified into prognostic groups based on clinical and pathological characteristics included in commonly used prognostic models (Leibovich 2003 and GRANT score). Five-year progression-free survival was calculated for individual risk groups. Surgical complications were classified based on the need for surgical intervention or patient mortality, corresponding to Clavien-Dindo grade 3–5. Results: Between 2014 and 2022, 482 patients with suspected renal tumor were operated on at our institution, of whom 312 were men (64.7%) and 170 were women (35.3%). In definitive histology, malignant findings were confirmed in 424 patients (87.9%), 58 findings were histologically benign (12.1%). Recurrence occurred in 35 patients with renal carcinoma, which corresponds to 8.3% of cases with a median interval of 33 months from surgery. The 5-year progression-free survival for the low, intermediate and high risk group according to the Leibovich model was 94.8; 89.6 and 63.2%, respectively. The 5-year progression-free survival according to the GRANT model was 94.1; 95.0 and 73.6% in the case of zero, one and two factors present, respectively. Conclusion: Our analysis confirms the importance of using established prognostic models for renal cell carcinoma, such as the Leibovich and GRANT scores, in assessing the risk of recurrence and overall survival after surgical treatment. Both scoring systems have demonstrated their ability to differentiate between patients with favorable and unfavorable prognosis.

Key words: partial nephrectomy– prognostic model – radical nephrectomy – renal cell carcinoma – risk factors

Úvod

Renální karcinom (RCC – renal cell carcinoma) patří mezi nejčastější malignity urogenitálního traktu, přičemž jeho incidence v posledních desetiletích narůstá. Díky rozvoji diagnostických metod je stále častěji zachycován v časných stadiích, což významně ovlivňuje možnosti léčby a prognózu pacientů.

V České republice (ČR) je incidence RCC jedna z nejvyšších na světě, dle dat Globocanu z roku 2022 mají vyšší incidenci RCC pouze Bělorusko, Uruguay a Lotyšsko [1]. Dle dat Národního onkologického registru bylo v roce 2022 v ČR diagnostikováno 3 290 zhoubných nádorů ledvin, hrubá incidence představovala více než 30 případů na 100 000 obyvatel [2]. Muži jsou postiženi častěji než ženy, a to v poměru 2 : 1. Vzhledem k populačnímu stárnutí a změnám životního stylu se očekává, že výskyt tohoto onemocnění bude i nadále růst. Mezi uznávané rizikové faktory RCC patří kouření, hypertenze, obezita a metabolický syndrom [3]. Nejvyšší počet pacientů je diagnostikován ve věku 65–74 let.

Prognóza pacientů s RCC je ovlivněna řadou klinických, patologických a molekulárních faktorů [3–5]. Mezi nejvýznamnější prognostické faktory patří:

• stadium onemocnění podle TNM klasifikace, kde přítomnost lymfatických uzlinových metastáz (N) a vzdálených metastáz (M) výrazně zhoršuje prognózu;

• velikost nádoru, přičemž nádory < 4 cm (T1a) mají podstatně lepší prognózu než větší léze;

• histologický subtyp;

• jaderný grading dle ISUP (International Society of Urological Pathology), který hodnotí jadernou atypii a je klíčový pro predikci agresivity nádoru;

• přítomnost nekrotických ložisek a vaskulární invaze, které signalizují vyšší riziko recidivy a metastáz;

158–163

• celkový stav pacienta hodnocený např. podle skóre Karnofského nebo ECOG (Eastern Cooperative Oncology Group), který ovlivňuje nejen prognózu, ale i volbu terapeutické strategie;

• biomarkery a genetické faktory, jako jsou mutace v genech VHL, PBRM1, BAP1 a další, které mohou mít prognostický a prediktivní význam.

K přesnějšímu hodnocení prognózy pacientů se využívají různé prognostické modely, které kombinují zejména klinické a patologické parametry. Nejčastěji využívané modely pro lokalizované onemocnění shrnuje tab. 1. Pro vyhodnocení naší kohorty pacientů jsme použili modely podle Leiboviche z roku 2003 [6] a GRANT skóre [7]. Hlavním cílem práce bylo stanovení 5letého přežití bez progrese (PFS – progression-free survival).

Metodika a soubor

Byla provedena retrospektivní analýza základních anamnestických dat pacientů, kteří byli operováni na našem pracovišti mezi lety 2014 a 2022 pro podezření na tumor ledviny dle zobrazovacích vyšetření, a to konkrétně dle počítačové tomografie nebo magnetické rezonance. Dále byly hodnoceny jednotlivé operační přístupy a základní charakteristika nádorů, tedy histologický podtyp RCC, T klasifikace a jaderný grade. Jako komplikace výkonů byly posuzovány pouze závažné komplikace stupně Clavien-Dindo IIIb–V. Pacienti s definitivní histologií světlobuněčného renálního karcinomu (ccRCC – clear-cell renal cell carcinoma) byli roztříděni dle prognózy podle Leibovichova skóre z roku 2003 a modelu GRANT a pro každou rizikovou skupinu bylo stanoveno 5leté PFS pomocí Kaplan-Meierovy křivky. Ke statistickému vyhodnocení

Tab. 1. Vybrané prognostické modely pro lokalizovaný RCC. Upraveno podle Bex et al. [3].

Tab. 1. Selected prognostic models for localized RCC. Adapted from Bex et al. [3].

Prognostický model Podtypy RCC

Leibovichovo skóre

2003 světlobuněčný RCC

UISS všechny podtypy

GRANT skóre všechny podtypy

Rizikové faktory

• T klasifikace (pT1a: 0, pT1b: 1, pT2: 3, pT3–4: 4 body)

• N klasifikace (pNx/N0: 0, pN+: 2 body)

• velikost tumoru (< 10 cm: 0, > 10 cm: 1 bod)

• grade (G1–2: 0, G3: 1, G4: 3 body)

• nekróza tumoru (není: 0, přítomna: 1 bod)

0–2 body: nízké riziko

3–5 bodů: střední riziko

≥ 6 bodů: vysoké riziko

• výkonnostní stav (ECOG)

• T klasifikace

• N klasifikace (N+ považováno za metastatický)

• grade

T1 N0 M0 G1–2, ECOG PS 0: nízce rizikové onemocnění

T3 N0 M0 G2–4, ECOG PS > 1 nebo T4 N0 M0: vysoké riziko

ostatní N0 M0: střední riziko

• věk > 60 let

• T klasifikace = pT3b, pT3c, pT4

• N klasifikace = pN1

• grade = G3 a G4

0–1 faktor: příznivé onemocnění

≥ 2 faktorů: nepříznivé onemocnění

RCC – renální karcinom, UISS – UCLA integrated staging system, ECOG – Eastern Cooperative Oncology Group

byl použit software Stata/SE, za statisticky významné byly považovány hodnoty p < 0,05.

Výsledky

Ve sledovaném období bylo provedeno celkem 482 operací, z tohoto počtu bylo 64,7 % (n = 312) u mužů a 35,3 % (n = 170) u žen. Medián věku v době operace činil 67 let shodně pro obě pohlaví. Ze známých rizikových faktorů byla zjištěna hypertenze u 70,1 % (n = 338) jedinců, v době přijetí na kliniku kouřilo 22,6 % (n = 109) pacientů, bývalí kuřáci tvoří 19,3 % (n = 93) operovaných. Obezitu definovanou jako body mass index (BMI) ≥ 30 kg/m2 jsme zaznamenali u 173 (35,9 %) pacientů.

Pravostranný výkon byl o něco častější (n = 247; 51,2 %) než na straně levé. Resekci ledviny podstoupilo 209 pacientů (43,4 %), zbytek souboru byly radikální nefrektomie. Laparoskopický transperitoneální přístup tvoří 35,5 % (n = 171) operací, častěji byla provedena laparoskopická radikální než parciální nefrektomie (n = 101 vs. 70). Definitivní histologie maligního onemocnění byla potvrzena u 424 (87,9 %) pacientů, z toho naprostá většina ve formě RCC (n = 421), 58 nálezů bylo histologicky benigních (12,1 %), mezi které patřily

nejčastěji angiomyolipomy, onkocytomy a další nezhoubné léze. Mezi jednotlivými podtypy RCC dominoval ccRCC, který byl potvrzen u 325 (77,2 %) pacientů, druhým nejčastějším subtypem byl papilární RCC (n = 58; 13,8 %), následovaný chromofobním RCC (n = 21; 5 %). Ostatní, vzácnější varianty RCC tvořily zbývající 4 % (n = 16) případů. Pooperační období bylo u většiny pacientů bez závažných komplikací. Nicméně u tří pacientů došlo k fatálním tromboembolickým komplikacím, které vedly k jejich úmrtí v časném pooperačním období. Závažné pooperační komplikace klasifikované dle systému Clavien-Dindo ve stupních IIIb–V byly zaznamenány celkem u 22 (4,5 %) pacientů. Konkrétně komplikace stupně IIIb se vyskytly u třinácti (2,7 %) pacientů, stupeň IV byl identifikován u šesti (1,2 %) pacientů a úmrtí odpovídající stupni V bylo evidováno u tří (0,6 %) pacientů.

Podle Leibovichova skóre byla většina pacientů zařazena do nízkorizikové skupiny (skóre 0–2; n = 210), středněrizikovou skupinu (skóre 3–5) tvořilo 96 pacientů, zatímco vysokorizikovou kategorii (skóre ≥ 6) s nepříznivou prognózou tvořilo 19 pacientů.

Model GRANT poskytl obdobné výsledky, přičemž nízkorizikovou skupinu (skóre 0–1) tvořilo 269 pacientů, zatímco do

skupiny se zvýšeným rizikem recidivy (skóre ≥ 2) bylo zařazeno 56 pacientů. Výsledky stratifikace jsou podrobně znázorněny v grafech 1 a 2.

Detailní výsledky výpočtu 5letého PFS pomocí Kaplan-Meierovy metody jsou přehledně shrnuty v grafech 3 a 4. Hodnoty PFS v procentech jsou uvedeny v tab. 2. Pro model GRANT nebyla vytvořena Kaplan-Meierova křivka pro jednotlivé rizikové skupiny, jelikož by výsledky byly zkreslené a statisticky nevýznamné vzhledem k nízkému počtu pacientů ve skupinách GRANT 3 a 4 (pouze dva pacienti a jeden pacient).

Místo toho bylo 5leté přežití určeno pro jednotlivé počty rizikových faktorů.

Graph 2. Risk groups – GRANT score.

Graf 3. Pětileté přežití bez progrese – Leibovich skóre. Graph 3. Five-year progression-free survival – Leibovich score.

Diskuze

Výsledky našeho sledování 5letého PFS pacientů s karcinomem ledviny na základě Leibovichova skóre potvrzují jeho význam jako prognostického nástroje v klinické praxi. Ve skupině pacientů s nízkým rizikem (Leibovich skóre 0–2) jsme zaznamenali vynikající 5leté přežití ve výši 94,8 %. Tento výsledek je v souladu s publikovanými daty a potvrzuje, že pacienti v této kategorii mají velmi příznivou prognózu po radikální nebo parciální nefrektomii [8,9]. U pacientů se středním rizikem (Leibovich skóre 3–5) bylo dosaženo 5letého přežití 89,6 %, což odráží relativně příznivý vývoj onemocnění, avšak s mírně vyšším rizikem relapsu či progrese. Výsledky této skupiny

Graf 4. Pětileté přežití bez progrese – GRANT skóre. Graph 4. Five-year progression-free survival – GRANT score.

Graf 2. Rizikové skupiny – GRANT skóre.
Graf 1. Rizikové skupiny – Leibovich skóre.
Graph 1. Risk groups – Leibovich score.

podporují individualizovaný přístup ke sledování podle dalších rizikových parametrů. Nejnižší přežití bylo zaznamenáno u pacientů s vysokým rizikem (Leibovich skóre > 6), kde 5leté přežití dosáhlo pouze 63,2 %. Tato hodnota zdůrazňuje potřebu intenzivnějšího sledování a v rámci studií i případné zařazení systémové léčby. V současné době je v ČR adjuvantní léčba (imunoterapie pembrolizumabem) indikována u nemetastatického ccRCC u nádorů pT2G4 nebo s přítomností sarkomatoidní složky, pT3–4 a N1 M0, tedy je doporučena i pro vybranou skupinu pacientů odpovídající střednímu riziku vzniku metastáz dle Leibovichova skóre [10]. Zároveň výsledky naznačují potřebu dalšího výzkumu a vývoje nových terapeutických strategií pro vysokorizikovou skupinu. V naší práci jsme používali Leibovichův model z roku 2003, byť je dostupný a doporučovaný i model z roku 2018 [11]. Model z roku 2018 je dokonce považován za nejpřesnější [12], je však poměrně složitý (hodnotí devět parametrů), a navíc neumožňuje rozdělení do rizikových skupin. Námi používaný model je snadno aplikovatelný v běžné klinické praxi bez potřeby složitých výpočtů nebo molekulárních dat, byl mnohokrát externě validován na různých souborech pacientů po celém světě, a má tak prokázanou robustnost při predikci rizika progrese u pacientů s ccRCC.

Stratifikace pomocí GRANT skóre přinesla další pohled na prognózu pacientů. Ve skupině bez přítomnosti rizikových faktorů dosahovalo 5leté přežití 94,1 %, což potvrzuje velmi příznivý výhled této podskupiny. Je zajímavé, že u pacientů s jedním rizikovým faktorem bylo přežití mírně vyšší (95 %).

To může být ovlivněno různým počtem případů v jednotlivých kategoriích nebo charakterem konkrétního rizikového faktoru. Naproti tomu u pacientů se dvěma rizikovými faktory již 5leté přežití klesá na 73,6 %, což ukazuje na významnou změnu prognózy i při relativně mírném nárůstu rizika. Pro skupinu s třemi a více rizikovými faktory nebylo možné 5leté přežití spolehlivě stanovit z důvodu nedostatečného počtu pacientů.

V porovnání s dostupnými daty jsou naše výsledky u Leibovichova modelu podobné, u nízkého rizika se PFS dle různých zdrojů pohybuje mezi 92 a 97 %, střednímu riziku odpovídá hodnota PFS 75–90 % a vysokému riziku 31–39 % [11,13].

Naše výsledky potvrzují využitelnost obou skórovacích systémů – Leibovich i GRANT – pro predikci dlouhodobého přežití. Jejich kombinované použití může poskytnout podrobnější a přesnější odhad prognózy a usnadnit rozhodování o další péči v rámci individualizované onkologické strategie. Jejich schopnost přesně predikovat prognózu je však v dnešní době omezená. Spektrum parametrů, které hodnotí, není v kontextu moderní onkologie dostatečné, protože neodráží biologickou rozmanitost RCC ani možnosti moderní léčby.

Tab. 2. Pětileté PFS u jednotlivých rizikových skupin v naší kohortě. Tab. 2. Five-year PFS in individual risk groups in our ohort.

Prognostický model Počet rizikových faktorů

PFS – přežití bez progrese

Závěr

Naše analýza 5letého PFS pacientů s karcinomem ledviny potvrzuje důležitost používání zavedených prognostických modelů, jako jsou Leibovich a GRANT skóre, při hodnocení rizika recidivy a celkového přežití po chirurgické léčbě. Oba skórovací systémy prokázaly svou schopnost rozlišit mezi pacienty s příznivou a nepříznivou prognózou, což umožňuje lépe cílit následné sledování i zvážit indikaci adjuvantní nebo systémové léčby u vysoce rizikových jedinců.

Získaná data reflektují klinické výsledky dosažené na našem pracovišti a zároveň přispívají k širší databázi poznatků o vývoji karcinomu ledviny v závislosti na klinicko-patologických parametrech. Významným přínosem této práce je i potvrzení relevance těchto modelů v každodenní praxi mimo centra, kde byly původně vyvinuty.

Zavedení standardizovaných prognostických nástrojů umožňuje lépe stratifikovat pacienty, individualizovat léčebné strategie a optimalizovat využití zdravotnických zdrojů. Do budoucna je žádoucí rozšířit sledování i na další prediktivní ukazatele, vč. molekulárních a genetických markerů, které by mohly dále zpřesnit odhad prognózy a přispět ke zlepšení výsledků léčby.

Střet zájmů: Autoři prohlašují, že v souvislosti s příspěvkem nemají žádný konflikt zájmů

Prohlášení o podpoře: Práce nebyla podpořena žádnou společností, grantem ani jinou formou externí finanční podpory.

Literatura

1. Ferlay J, Ervik M, Lam F et al. Global Cancer Observatory: Cancer Today (version 1). [online]. Lyon: International Agency for Research on Cancer 2024. Dostupné z: https://gco.iarc.who.int/today.

2. Krejčí D, Mužík J, Šnábl I et al. Portál epidemiologie novotvarů v ČR. [online]. Brno: Masarykova univerzita 2024. Dostupné z: https://www.svod.cz.

3. Bex A, Albiges L, Bedke J et al. EAU Guidelines on Renal Cancer. Edn. presented at the EAU Congress, Madrid 2025. Arnhem: EAU Guidelines Office 2025.

4. Čechová M, Chocholatý M, Babjuk M et al. Prognostické faktory renálního karcinomu. Rozhl Chir 2022; 101(10): 469–477. doi: 10.33699/ PIS.2022.101.10.469-477.

5. Kašík M, Fedorko M. Prognostické faktory renálního karcinomu. Ces Urol 2023; 27(3): 139–150. doi: 10.48095/cccu2023021.

6. Leibovich BC, Blute ML, Cheville JC et al. Prediction of progression after radical nephrectomy for patients with clear cell renal cell carcinoma: a stratification tool for prospective clinical trials. Cancer 2003; 97(7): 1663–1671. doi: 10.1002/cncr.11234.

7. Buti S, Puligandla M, Bersanelli M et al. Validation of a new prognostic model to easily predict outcome in renal cell carcinoma: the GRANT score applied to the ASSURE trial population. Ann Oncol 2017; 28(11): 2747–2753. doi: 10.1093/annonc/mdx492.

8. Pichler M, Hutterer GC, Chromecki TF et al. External validation of the Leibovich prognosis score for nonmetastatic clear cell renal cell carcinoma at a single European center applying routine pathology. J Urol 2011; 186(5): 1773–1778. doi: 10.1016/j.juro.2011.07.034.

9. Lee HJ, Lee A, Huang HH et al. External validation of the updated Leibovich prognostic models for clear cell and papillary renal cell carcinoma in an Asian population. Urol Oncol 2019; 37(6): 356.e9–356.e18. doi: 10.1016/j.urolonc.2019.02.014.

10. Choueiri TK, Tomczak P, Park SH et al. Overall survival with adjuvant pembrolizumab in renal-cell carcinoma. N Engl J Med 2024; 390(14): 1359–1371. doi: 10.1056/NEJMoa2312695.

11. Leibovich BC, Lohse CM, Cheville JC et al. Predicting oncologic outcomes in renal cell carcinoma after surgery. Eur Urol 2018; 73(5): 772–780. doi: 10.1016/j.eururo.2018.01.005.

12. Rosielo G, Larcher A, Fallara G et al. Head-to-head comparison of all the prognostic models recommended by the European Association of Urology Guidelines to predict oncologic outcomes in patients with renal cell carcinoma. Urol Oncol 2022; 40(6): 271.e19–271.e27. doi: 10.1016/j. urolonc.2021.12.010.

13. Usher Smith JA, Li L, Roberts L et al. Risk models for recurrence and survival after kidney cancer: a systematic review. BJU Int 2022; 130(5): 562–579. doi: 10.1111/bju.15673.

Soutěž ČUS

Soutěž ČUS o nejlepší původní vědeckou práci

publikovanou v časopise Česká urologie 2025

Do soutěže lze přihlásit práce publikované v časopise Česká urologie od 1. 1. do 31. 12. 2025. První autor práce musí být členem ČUS a aktivním urologem působícím v České republice.

Kompletní pravidla pro udílení cen ČUS naleznete na webových stránkách ČUS

Vítězné práce budou vyhlášeny a oceněny na Výroční konferenci ČUS 2026. Výsledky budou následně zveřejněny v časopise Česká urologie a na webových stránkách ČUS.

Urol 2025; 29(3): 158–163

Histologické nálezy u kompletně zdvojené ledviny a močovodu po heminefrektomii

Histological findings in a completely duplicated kidney and ureter after heminephrectomy

Souhrn: Úvod: Kompletní duplikace ledviny a močovodu je častou vývojovou vadou uropoetického traktu, často doprovázenou ektopií, ureterokélou nebo vezikoureterálním refluxem. V případě závažné hypofunkce horní moiety je indikována heminefrektomie. Cíl: Cílem této studie bylo analyzovat histopatologické nálezy resekátů horního segmentu kompletně zdvojených ledvin u dětských pacientů indikovaných k heminefrektomii. Metody: Retrospektivní analýza 26 dětí operovaných v letech 2000–2024 pro kompletní duplikaci horních močových cest ve FN Hradec Králové. Hodnoceny byly klinické údaje a výsledky histologického vyšetření. Výsledky: Nejčastějším nálezem byly chronické zánětlivé změny (77 %) a renální dysplazie (46 %), častěji u ektopického močovodu než u ureterokély. Dále byla popsána tubulární atrofie, intersticiální fibróza, glomeruloskleróza a v jednom případě metaplazie urotelu. Závěr: Histopatologické změny u horní moiety kompletně zdvojené ledviny odrážejí kombinaci vrozených a sekundárních postižení, která vedou k nevratné ztrátě funkce segmentu. Heminefrektomie je účinnou terapeutickou metodou a histologická analýza má význam pro pochopení patogeneze těchto stavů.

Klíčová slova: dětská urologie – heminefrektomie – histopatologie – zdvojená ledvina

Summary: Introduction: Complete duplication of the kidney and ureter is a common congenital anomaly of the urinary tract, often associated with ectopic ureter, ureterocele, or vesicoureteral reflux. In cases of severe hypofunction of the upper moiety, heminephrectomy is indicated. Objective: The aim of this study was to analyze the histopathological findings in resected upper segments of completely duplicated kidneys in pediatric patients undergoing heminephrectomy. Methods: A retrospective analysis was conducted on 26 children operated on between 2000 and 2024 for complete duplication of the upper urinary tract at the University Hospital Hradec Králové. Clinical data and histological findings were evaluated. Results: The most frequent findings were chronic inflammatory changes (77%) and renal dysplasia (46%), more commonly associated with ectopic ureter than ureterocele. Additional findings included tubular atrophy, interstitial fibrosis, glomerulosclerosis, and urothelial metaplasia in one case. Conclusion: Histopathological changes in the upper moiety of completely duplicated kidneys reflect a combination of congenital and secondary damage, resulting in irreversible loss of segmental function. Heminephrectomy is an effective therapeutic method, and histological analysis contributes to a better understanding of the pathogenesis of these conditions.

Key words: pediatric urology – heminephrectomy – histopathology – duplicated kidney

Martina Košudová1

Minh Nguyet Tranová2

Pavel Navrátil2,3

Miroslav Podhola4

Ivo Novák2

1 Urologie, Nemocnice Havířov

2 Urologická klinika, FN Hradec Králové

3 LF UK, FN Hradec Králové

4 Fingerlandův ústav patologie, FN Hradec Králové

MUDr. Pavel Navrátil, Ph.D., FEBU

Urologická klinika LF UK

a FN Hradec Králové

Sokolská 581

500 05 Hradec Králové pavel.navratil2@fnhk.cz

Doručeno: 11. 6. 2025

Přijato: 12. 8. 2025

Úvod

Vrozené vývojové vady uropoetického traktu představují významnou skupinu anomálií, mezi nimiž patří kompletní zdvojení ledviny a močovodu k nejčastějším. Tato vada se vyskytuje přibližně u 1 % populace, přičemž ve většině případů zůstává asymptomatická. V dětské urologii však může představovat závažný klinický problém, zejména v případech, kdy je spojena s obstrukcí, vezikoureterálním refluxem (VUR) nebo dalšími strukturálními anomáliemi močových cest [1].

Kompletně zdvojený systém je často spojen s patologiemi, jako je ektopické vyústění močovodu nebo ureterokéla, které bývají zakončením dilatovaného močovodu (megaureteru). Tyto přidružené vady mohou vést k postupnému poškození horní části ledviny, často až k její funkční ztrátě.

V případech s těžkou hypofunkcí postiženého segmentu ledviny < 5 % nebo s jeho afunkcí doporučuje většina autorů odstranit postižené části – provést tzv. heminefrektomii [1]. Histologické vyšetření resekátu přitom přináší cenné informace o rozsahu a charakteru postižení parenchymu a močovodu, které mohou odrážet jak vrozené dysplastické změny, tak sekundární změny při dlouhodobé obstrukci a infekci.

Cílem této studie je prezentovat soubor pacientů se zdvojenou ledvinou operovaných pro hypofunkční horní segment a analyzovat jejich histopatologické nálezy s cílem lépe porozumět charakteru změn přítomných v resekátech horního pólu ledviny a přilehlého močovodu.

Metody

Do retrospektivní observační studie byli zařazeni pacienti, kteří na našem pracovišti podstoupili otevřenou kraniální heminefrektomii pro kompletní duplikaci ledviny a močovodu v letech 2000–2024.

Základním kritériem pro zařazení byla přítomnost zdvojeného dutého systému s funkčně hypofunkčním či afunkčním horním segmentem, pro který byla indikována chirurgická ablace. U všech pacientů byla před operací stanovena diagnóza pomocí zobrazovacích metod (ultrasonografie, mikční

Tab. 1. Výsledky histopatologických nálezů.

Tab. 1. Results of histopathological findings.

cystouretrografie, statická scintigrafie) a klinického vyšetření. Operační přístup byl ve všech případech otevřený, s retroperitoneálním přístupem z lumbotomie.

Z resekovaného horního pólu ledviny a přilehlé části močovodu bylo provedeno standardní histopatologické vyšetření zahrnující makroskopické hodnocení, barvení hematoxylin-eozinem a případně doplňková barvení dle uvážení patologa.

Výsledky

Celkem bylo do studie zařazeno 26 pacientů, kteří podstoupili kraniální heminefrektomii pro kompletní duplikaci horních močových cest. V souboru bylo 22 dívek (84,6 %) a 4 chlapci (15,4 %). Jednostranné zdvojení močovodu bylo přítomno u 25 pacientů (96,2 %), bilaterální u 1 pacientky (3,8 %). Průměrný věk v době operace byl 31 měsíců (rozmezí 3 měsíce až 12 let).

U 13 pacientů (50 %) byla vrozená vada diagnostikována již prenatálně pomocí ultrazvukového vyšetření a následně potvrzena postnatálně. U zbývajících 13 pacientů (50 %) byla diagnóza stanovena až po narození, přičemž u 6 z těchto případů (23 %) nebyly dostupné údaje o prenatálním screeningu.

U všech pacientů byla přítomna přidružená anatomická anomálie (tab. 1):

• ektopický močovod u 18 pacientů (69,2 %);

• ureterokéla u 8 pacientů (30,8 %);

• ureterická inkontinence byla klinicky pozorována u 7 dívek (26,9 %).

Megaureter horního segmentu byl zaznamenán u 25 pacientů (96,2 %). VUR byl diagnostikován u 3 pacientů (11,5 %) pomocí mikční cystouretrografie. Minimálně jednu ataku febrilní uroinfekce prodělalo 14 dětí (53,8 %).

Histopatologické vyšetření resekátů horního pólu ledviny a přilehlého močovodu prokázalo:

• renální dysplastické změny ve 12 případech (46,2 %), z toho v 10 případech s ektopickým močovodem a ve 2 s ureterokélou;

Celkově Dysplazie Chronické zánětlivé změny

Známky akutní exacerbace zánětu Metaplazie

29(3): 164–169

• chronické zánětlivé změny parenchymu u 20 pacientů (76,9 %), z toho v 15 případech s ektopickým močovodem a v 5 s ureterokélou;

• známky akutního zánětu byly přítomny u 2 pacientů (7,7 %);

• dlaždicobuněčná metaplazie byla popsána u 1 pacientky s ureterokélou.

Diskuze

Resekáty horního pólu zdvojené ledviny u dětských pacientů vykazují zpravidla celou škálu simultánně se vyskytujících histopatologických změn. Patří mezi ně nejčastěji renální dysplazie postiženého segmentu, dále chronické intersticiální zánětlivé změny, výrazná tubulární atrofie s náhradní intersticiální fibrózou, glomeruloskleróza a v menší míře také metaplazie epitelu močových cest [2]. Prakticky ve všech vyšetřovaných vzorcích nefunkčních horních pólů duplexních ledvin je přítomna alespoň některá z uvedených abnormit [3], přičemž obvykle koexistuje více typů lézí současně (např. dysplazie provázená zánětlivým infiltrátem a fibrózou). Níže jsou detailně rozebrány nejvýznamnější nálezy, jejich četnost, patogeneze a souvislosti s přidruženými anomáliemi močových cest.

Dysplazie

Renální dysplazie představuje nejzásadnější nález v postiženém horním pólu a odráží vrozenou poruchu jeho vývoje. Histologicky je charakterizována nezralou, dezorganizovanou strukturou ledvinného parenchymu – nacházíme pouze omezený počet funkčních nefronů, přítomny jsou dysplastické (fetální) tubuly často cysticky dilatované, obklopené hustými fibromuskulárními pruhy, dále primitivní stromální tkáň a ostrůvky chrupavky v kůře ledviny (obr. 1) [4]. Tyto změny odpovídají obrazu cystické renální dysplazie, která bývá u duplexní ledviny segmentární – postihuje typicky celý horní pól. V našem souboru byla histologická dysplazie prokázána u 12 z 26 pacientů (46 %), převážně u případů s ektopickým vyústěním horního močovodu. To koresponduje s údaji z literatury – Bolduc et al. uvádějí dysplazii v 35 z 55 případů (64 %) resekovaných horních pólů při ureterokéle [2]. Ještě vyšší četnost zachytil novější soubor Świętoń et al., v němž byly dysplastické změny popsány až u 21 z 24 odstraněných segmentů (88 %) – zahrnoval totiž nejen obstrukční formy, ale i případy s refluxní uropatií. Za pozornost stojí, že dysplazie byla nalezena ve všech případech s obstrukčním postižením (ureterokéla či ektopický močovod) a dokonce i u 70 % případů, kde byl hlavní patologií VUR. To naznačuje, že určité dysplastické rysy mohou vznikat i při kombinaci refluxu a prenatální obstrukce nebo infekce. Rozsah dysplastických změn přitom úzce souvisí se ztrátou funkce – čím vyšší podíl parenchymu je dysplastický, tím nižší je zbytková funkce segmentu při funkčním zobrazení (magnetická rezonance) [4]. Etiologicky je vznik renální dysplazie u duplexních ledvin

Obr. 1. Cystická dysplazie – primitivní tubuly obklopeny nezralými mezenchymálními buňkami.

Barvení: hematoxylin-eozin, zvětšeno 100×.

Fig. 1. Cystic dysplasia – primitive tubules surrounded by immature mesenchymal cells.

Hematoxylin-eosin staining, magnified ×100.

připisován abnormalitám vývoje ureterálního pupenu a následné obstrukci odtoku moči v průběhu fetálního období. Klasické pravidlo Weigert-Meyer předpokládá, že horní pól kompletně zdvojené ledviny má ústí močovodu ektopicky (často spojené s ureterokélou) a jeho drenáž je od počátku ztížena, což vede k malformaci parenchymu – protrahovaná prenatální obstrukce moči hraje hlavní roli ve vzniku dysplazie vyvíjející se ledviny. Naproti tomu dolní pól duplexní ledviny mívá ureter s normálním vyústěním, ale krátkým intravezikálním průběhem, což predisponuje k VUR. Ten sice může způsobit jizevnaté změny vlivem infekcí, avšak k vrozené dysplazii dolního segmentu dochází méně často a v mírnější formě. Tyto poznatky podporuje i starší studie Gartella et al., která prokázala přítomnost histologických známek dysplazie ve všech vyšetřovaných horních pólech duplexních ledvin s ektopií/ureterokélou, zatímco u dolních pólů postižených refluxem byly dysplastické změny vzácnější a méně vyjádřené [5].

Chronické zánětlivé změny

Chronický zánět provází nefunkční horní segment ledviny téměř pravidelně. Histologicky se projevuje jako chronická intersticiální nefritida – difuzní lymfoplazmocytární infiltráty v intersticiu s případnými ložisky fibroprodukce a sekundární tubulární destrukcí (obr. 2). V našem souboru byl obraz chronických zánětlivých změn popsán přibližně u 77 % resekátů horních pólů (častěji u případů s ektopickým močovodem než s ureterokélou). Podobně Bolduc et al. zaznamenali alespoň mírné chronické zánětlivé postižení ve všech vzorcích a v 55 % případů šlo dokonce o zánět středně těžkého či těžkého stupně (podle rozsahu infiltrace) [2]. Tyto změny úzce souvisejí s močovými infekcemi, které se u duplexních ledvin

Obr. 2. Chronické zánětlivé změny.

Barvení: hematoxylin-eozin, zvětšeno 100×.

Fig. 2. Chronic inflammatory changes.

Hematoxylin-eosin staining, magnified ×100.

vyskytují často – v našem souboru prodělalo 54 % dětí alespoň jednu epizodu febrilní pyelonefritidy. Někdy může zánět v nefunkčním segmentu přetrvávat i přes profylaxi; akutní aktivní pyelonefritida v resekátu však byla vzácným nálezem (vyskytla se pouze ojediněle, v jednotkách případů). Chronická infekce a zánět mohou dále zhoršovat funkční i morfologické postižení horního pólu a přispívat k rozvoji jizvení a metaplazie epitelu (viz níže).

Chronické sklerotické změny (atrofie, fibróza a glomeruloskleróza)

Nefunkční horní segment vykazuje pokročilé chronické sklerotické změny jako důsledek dlouhodobé obstrukce a/nebo refluxu. Patří sem tubulární atrofie (destrukce a kolaps tubulů, místy s dilatacemi vyplněnými proteinózním materiálem), dále difuzní intersticiální fibróza (náhrada původního parenchymu vazivem) a glomeruloskleróza (hyalinní oblenění až zcela zjizvené glomeruly). Tyto ireverzibilní změny významně přispívají k redukci funkční kapacity postiženého pólu (obr. 3). V našem souboru popisovala histologie různý stupeň tubulární atrofie a intersticiální fibrózy ve většině případů resekátů. Literatura uvádí, že významná (středně těžká až těžká) atroficko-fibrózní přestavba je přítomna přibližně ve 2/3 případů –např. u ureterokél dosahovala frekvence výrazné fibrózy 67 % a tubulární atrofie 66 % ve studii Bolduc et al. Také glomeruloskleróza patří k častým nálezům – výrazné postižení (> 25 % glomerulů sklerotických) popisují titíž autoři asi u 53 % případů [2]. Lze předpokládat, že při citlivějším hodnocení (započtení i lehčích forem) by podíl případů s alespoň nějakou glomerulosklerózou a fibrotizací byl ještě vyšší. V mikroskopickém obraze jsou kromě hyalinizovaných glomerulů patrny též sekundární změny na cévách – např. ztluštění stěn arteriol v oblastech těžké fibrózy, které svědčí o chronické ischemii

Obr. 3. Chronické sklerotické změny.

Barvení: hematoxylin-eozin, zvětšeno 100×.

Fig. 3. Chronic sclerotic changes.

Hematoxylin-eosin staining, magnified ×100.

a hypertenzním přetlaku v reziduálním nefronech. Stupeň sklerotických změn může do jisté míry souviset s charakterem přidružené anomálie. Například u extravezikálních ureterokél (tedy vyústěných ektopicky mimo trigonum) bylo zaznamenáno signifikantně těžší zjizvení – výraznější fibróza a atrofie – oproti intravezikálním ureterokélám [2]. To koreluje s vyšším stupněm obstrukce u extravezikálních forem. Naopak při srovnání obstrukčních megaureterů různé etiologie se ukazuje, že histopatologický obraz nefunkčních horních pólů je obdobný bez ohledu na přesnou příčinu obstrukce. Świętoń et al. neprokázali rozdíl v charakteru poškození parenchymu mezi primárním (idiopatickým) megaureterem a megauretery sdruženými s ureterokélou či ektopií – ve všech případech dominovaly obdobné dysplasticko-fibrotické změny [4]. Z klinického hlediska je významné, že pokročilou fibrózu lze do určité míry odhadnout již předoperačně zobrazovacími metodami –ztráta kortikomedulární diferenciace postiženého pólu na ultrazvuku a zvýšený T2 signál parenchymu na magnetické rezonanci dobře korelují s přítomností rozsáhlé intersticiální fibrózy a dysplazie v resekátu [4].

Metaplazie urotelu a další změny V prostředí chronického zánětu a stagnující moči může epitel močových cest podléhat metaplazii. V našich vzorcích byla dlaždicobuněčná metaplazie zjištěna u jedné pacientky (≈4 % případů) s dlouhodobě dilatovaným ureterem a ureterokélou (obr. 4). Metaplasticky změněná sliznice byla popsána v oblasti kalichopánvičkového přechodu a intravezikální části ureteru. Tento nález odpovídá reaktivní skvamózní metaplazii urotelu, kdy se původní urotelová výstelka mění vlivem chronické iritace na vícevrstevný dlaždicový epitel (často se známkami rohovění). Podobná keratinizující metaplazie – známá též jako leukoplakie – je považována za prekancerózu urotelu,

Obr. 4. Metaplazie urotelu.

Barvení: hematoxylin-eozin, zvětšeno 100×.

Fig. 4. Urothelial metaplasia.

Hematoxylin-eosin staining, magnified ×100.

neboť dlouhodobě může vést ke vzniku dlaždicobuněčného karcinomu. Anatomické abnormality jako zdvojená ledvina či vývodný systém (zejména při přidružené litiáze nebo infekcích) jsou uváděny mezi rizikovými faktory této sekvence metaplazie–karcinom [6]. U dětských pacientů je ovšem maligní transformace extrémně vzácná a v publikovaných souborech duplexních ledvin nebyl vznik karcinomu z metaplastického ložiska pozorován (riziko je spíše teoretické vzhledem k dlouhé latenci těchto nádorů do dospělosti). Kromě dlaždicové metaplazie může při chronickém zánětu výjimečně docházet i k metaplazii žlázové (např. intestinální), ta však v našem ani v dostupných pediatrických souborech zdvojených ledvin popsána nebyla.

Patofyziologické souvislosti a klinický význam

Uvedené histopatologické nálezy je třeba vnímat v kontextu vývojových a postnatálních faktorů provázejících kompletně zdvojený systém ledviny. Hlavní roli hraje vrozená obstrukce a dysplazie horního pólu způsobená abnormálním vyústěním močovodu, k ní se sekundárně přidávají infekce a reflux (poškozující případně i dolní pól). V našem souboru měli všichni pacienti závažnou přidruženou anomálii vývodných cest (18× ektopický močovod, 8× ureterokéla; někteří i ipsilaterální VUR do dolního segmentu), což odpovídá obecnému trendu – kompletní zdvojení se téměř vždy pojí s ektopií či ureterokélou. Výsledkem kombinace těchto vlivů je, že postižený horní segment je již od prenatálního období funkčně degradován. Histologické léze vzniklé v období vývoje jsou trvalé – podle Bolduca et al. nedochází po narození k progresi, ale ani k regresi jednou vzniklých dysplastických a jizevnatých změn. Klinicky to potvrzuje i fakt, že časná prenatální detekce a intervence (např. včasná punkce/profylaxe ureterokély) nezlepšuje výsledný histologický obraz – v resekátech

dětí s prenatálně zjištěnou vadou nebyly oproti postnatálně diagnostikovaným pozorovány méně závažné léze. Z toho plyne, že jakmile je významná část parenchymu dysplastická a zjizvená, nelze tuto změnu zvrátit; terapeutická strategie se proto soustředí spíše na prevenci komplikací (infekcí, poškození zbývající ledviny) než na záchranu funkce horního pólu [2].

Výrazný nepoměr v pohlaví (převaha dívek) v našem souboru odpovídá literatuře – např. v kohortě 239 pacientů s duplexním systémem byl poměr dívek a chlapců 60 vs. 40 % [7]. Jiné studie uvádějí poměr dívek k chlapcům až kolem 2 : 1 [8]. Stejně tak i celkový profil nálezů v našem dětském souboru odpovídá trendům známým z literatury. Přibližně polovina až dvě třetiny nefunkčních horních pólů duplexních ledvin vykazují cystickou renální dysplazii, často v kombinaci s těžkou tubulointersticiální atrofií a fibrózou [2]. Nálezy chronického zánětu a jizev jsou takřka univerzální a byly popsány ve všech publikovaných sériích [2,3]. Menší rozdíly lze pozorovat v četnosti dysplazie u specifických podskupin – např. v našem souboru se dysplazie vyskytla jen ve 25 % případů s ureterokélou, zatímco Bolduc et al. zaznamenali u ureterokél horní pól dysplastický v 64 % [2]. Tato odchylka však může souviset s omezenou velikostí našeho souboru a s odlišnou klasifikací (my jsme hodnotili jen jednoznačné dysplazie s přítomností chrupavky či primitivních struktur). Naproti tomu shodně s literaturou pozorujeme výraznější fibrózu u extravezikálních (ektopických) ureterokél a potvrzujeme, že přítomnost dysplazie nezáleží na způsobu odhalení vady (prenatálně vs. postnatálně). Z publikovaných prací i z našich dat tedy vyplývá jednoznačný závěr, že nefunkční horní pól zdvojené ledviny je prakticky vždy nenávratně postižen kombinací vývojových a zánětlivých změn. Tyto poznatky zdůrazňují význam včasné diagnostiky duplexních systémů – ne však s cílem zachovat již poškozený segment, ale zejména kvůli prevenci infekcí, ochraně funkce zbývajícího (dolního) segmentu a monitorování možných pozdních komplikací.

Zjištěné histopatologické nálezy potvrzují ireverzibilitu poškození horního segmentu a podporují správnost chirurgické indikace. Histologické vyšetření má přínos nejen pro zpětné potvrzení klinického rozhodnutí, ale i pro porozumění patofyziologii zdvojených systémů, což může přispět ke standardizaci přístupů u podobných pacientů.

Závěr

Histopatologické vyšetření resekátů horního segmentu kompletně zdvojené ledviny prokázalo široké spektrum patologických změn, přičemž nejčastějšími nálezy byly renální dysplazie a chronické zánětlivé změny parenchymu. Tyto nálezy odrážejí dlouhodobé zatížení horní moiety vlivem obstrukce, refluxu nebo recidivujících infekcí, které jsou typicky spojeny s přidruženými anomáliemi, jako je ektopický močovod a ureterokéla.

Výsledky podporují význam včasné a pečlivé indikace heminefrektomie u afunkčních nebo těžce hypofunkčních segmentů, která je bezpečnou a efektivní metodou léčby s minimálním výskytem komplikací. Histologická analýza přináší nejen potvrzení klinického nálezu, ale i hlubší porozumění patofyziologii těchto vrozených vad. Další prospektivní a multicentrické studie jsou potřebné ke standardizaci přístupů

Literatura

k těmto pacientům a dlouhodobému hodnocení výsledků léčby.

Střet zájmů: Autoři prohlašují, že v souvislosti s příspěvkem nemají žádný konflikt zájmů

Prohlášení o podpoře: Tato práce vznikla v rámci programu COOPERATIO, vědní oblasti SURG.

1. Šmakal O. Diagnostika a léčba vrozených vad zdvojené ledviny u dětí. Urolog. pro Praxi 2010; 11(6): 316–318.

2. Bolduc S, Upadhyay J, Sherman C et al. Histology of upper pole is unaffected by prenatal diagnosis in duplex system ureteroceles. J Urol 2002; 168(3): 1123–1126. doi: 10.1016/S0022-5347(05)64606-X.

3. Smakal O, Sarapatka J, Hartmann I et al. Can renal ultrasonography and DMSA scintigraphy be used for the prediction of irreversible histological lesions of the upper pole in duplex system with ureteroceles or ectopic ureters? Biomed Pap Med Fac Univ Palacky Olomouc Czech Repub 2016; 160(3): 429–434. doi: 10.5507/bp.2016.028.

4. Świętoń D, Buczkowski K, Czarniak P et al. Insights into kidney dysplasia in duplex kidneys: from radiologic diagnosis to histopathologic understanding. Biomedicines 2024; 12(5): 1126.

5. Gartell PC, MacIver AG, Atwell JD. Renal dysplasia and duplex kidneys. Eur Urol 1983; 9(2): 65–68.

6. Prendeville S, Choy B. Squamous cell carcinoma. PathologyOutlines.com 2021. [online]. Available from: https://www.pathologyoutlines.com/topic/ bladdersquamous.html.

7. Yener S, Pehlivanoğlu C, Akis Yıldız Z et al. Duplex kidney anomalies and associated pathologies in children: a single-center retrospective review. Cureus 2022; 14(6): e25777. doi: 10.7759/cureus.25777.

8. Whitten SM, McHoney M, Wilcox DT et al. Accuracy of antenatal fetal ultrasound in the diagnosis of duplex kidneys. Ultrasound Obstet Gynecol 2003; 21(4): 342–346. doi: 10.1002/uog.40.

JARNÍ EDUKAČNÍ UROLOGICKÉ SYMPOZIUM

2026

24. – 25. 4. 2026

Registrace bude spuštěna v únoru 2026

KONFERENČNÍ CENTRUM ENSANA, MARIÁNSKÉ LÁZNĚ JEUS26

71. výroční konference České urologické společnosti ČLS JEP

22. – 24. 10. 2025

KONGRESOVÉ CENTRUM ALDIS

HRADEC KRÁLOVÉ

Vážené kolegyně, vážení kolegové, dovolujeme si Vás pozvat k účasti na 71. Výroční konferenci České urologické společnosti, která se uskuteční 22. – 24. října v Hradci Králové. Jako každoročně bude připraven bohatý odborný a vědecký program. Budou připraveny dvě paralelní sekce pódiových prezentací, přednášky Evropské školy urologie, vyzvané přednášky uznávaných odborníků české, slovenské i evropské urologie a mnoho dalšího. Mimo to budou k dispozici praktické kurzy na zvládnutí nebo zlepšení v endoskopické, laparoskopické i robotické operativě. Nadějně vypadá představení zcela nové generace operačního robota daVinci a mnoho dalších novinek. Odborná část a také diskuzní večer proběhnou v kongresovém centru Aldis, které je umístěno v širším historickém centru města na Labském nábřeží. Je pravděpodobné, že se akce zúčastní více než tisíc účastníků a tak prosím, neváhejte s včasnou registrací.

Je milou shodou okolností, že urologický kongres proběhne v letošním roce v Hradci Králové.

Naše město tento rok slaví 800 let od první dochované zmínky a Lékařská fakulta si připomíná 80 let od svého založení. Výroční konference se po téměř 15 letech vrací do Hradce Králové a věřím, za všechny organizátory, že se podaří pro Vás připravit atraktivní odborný program.

Pro všechno výše uvedené a jistě i z mnoha dalších důvodů se těšíme na Vaši účast na 71. Výroční konferenci ČUS v říjnu v Hradci Králové.

Miloš Broďák

prezident 71. výroční konference ČUS ČLS JEP

Komplexní novinky v onkourologii – KNOU 2025

Comprehensive news in oncourology – KNOU 2025

MUDr. Tereza Zdobinská

Urologická klinika

2. LF UK a FN Motol

V Úvalu 84, 150 06 Praha tereza.zdobinska@fnmotol.cz

Jak postupovat, když nám doporučené postupy nestačí? Právě na tuto otázku se zaměřila dvoudenní odborná konference, která se uskutečnila 16. a 17. května 2025 a věnovala se diagnostice a léčbě urologických malignit. Pod vedením předních českých odborníků a za účasti zahraničních hostů vytvořila platformu pro sdílení zkušeností, diskuzi nad složitými kazuistikami a prezentaci nových diagnostických a terapeutických přístupů. Setkání se neslo v duchu mezioborové spolupráce, individualizované péče a integrace moderních technologií do každodenní praxe. Letošního ročníku se zúčastnilo 240 lékařů z oborů urologie, onkologie, zobrazovacích metod, nukleární medicíny, patologie a dalších specializací.

V rámci kazuistiky pacienta s objemným tumorem ledviny byla diskutována indikace k nefrektomii, význam

lymfadenektomie i rozsah chirurgického výkonu. Důraz byl kladen na volbu systémové léčby, její optimální načasování a přínos moderních zobrazovacích metod, např. pozitronové emisní tomografie s výpočetní tomografií (PET/CT) s využitím [89Zr]-girentuximabu nebo jednofotonové emisní tomografie s výpočetní tomografií (SPECT/CT) s [99Tc]-sestamibi.

Významným tématem se stala i role umělé inteligence (AI –artificial intelligence), a to jak v hodnocení zobrazovacích metod, tak při analýze histopatologických nálezů. Přestože AI přináší slibné výsledky, odborníci upozornili na nutnost její validace do rutinní praxe pod odborným dohledem.

Další část programu byla věnována uroteliálnímu karcinomu měchýře. Na kazuistice pacienta s pT2 nádorem byly rozebrány možnosti chirurgie zachovávající močový měchýř,

Obr. 1. Doc. Štěpán Veselý, MUDr. Michaela Matoušková, prof. Marek Babjuk a prof. Tomáš Büchler zahajují konferenci KNOU 2025. Fig. 1. Assoc. Prof. Štěpán Veselý, Michaela Matoušková, MD, Prof. Marek Babjuk and Prof. Tomáš Büchler open the KNOU 2025 conference. Autor fotografií: Petr Vaněk.

Obr. 2. Váženým hostem jubilejního 10. ročníku konference KNOU 2025 byl prof. Ashish Kamat z Houstonu.

Fig. 2. Prof. Ashish Kamat from Houston was the honorary guest at the 10th anniversary KNOU 2025 conference.

role radikální cystektomie a význam multimodálního přístupu. Mezinárodní host prof. Ashish M. Kamat, MD, MBBS, prezentoval zkušenosti s léčbou lokálně pokročilého onemocnění ve Spojených státech amerických. V diskuzi zazněl i přínos magnetické rezonance (MR) v primárním stagingu a při hodnocení léčebné odpovědi. Dále byla diskutována problematika oligometastáz a strategie léčby s ohledem na lokalizaci karcinomu.

V rámci odborných sympozií byly prezentovány zkušenosti s moderními léčivy, např. s konjugátem enfortumab vedotin

Obr. 4. Sobotní odborný program konference byl ve znamení workshopů pro omezený počet účastníků. Fig. 4. Saturday conference programme featured workshops for a limited number of participants.

Obr. 3. Prof. Roman Zachoval, předseda ČUS ČLS JEP, prezentoval aktuální stav Programu screeningu karcinomu prostaty.

Fig. 3. Prof. Roman Zachoval, Chairman of the Czech Urological Society ČLS JEP, presented the current status of the Prostate Cancer Screening Program.

a jeho místem v terapeutickém algoritmu. Odpolední blok přinesl přehled aktuálních možností cílené systémové terapie, zejména imunoterapie. Diskutovány byly mechanizmy účinku PD-1, PD-L1 a CTLA-4, stejně jako dlouhodobé nežádoucí účinky a aktuální výzkumné směry v české onkourologii vč. cirkulujících nádorových buněk.

Závěrečný blok prvního dne se věnoval karcinomu prostaty. Na kazuistice bylo ilustrováno, jak mohou pokroky v diagnostice, zejména přesnější MR a genetická vyšetření, ovlivnit léčbu. Zazněly prezentace na téma bezpečnosti aktivního sledování, cílené chirurgické i radioterapeutické léčby a významu neuroendokrinní diferenciace pro volbu terapie. Sympozium partnera konference se zaměřilo na využití PSMA-PET (prostate-specific membrane antigen positron emission tomography) a jeho přínos v klinické praxi. Pozornost byla věnována také screeningu karcinomu prostaty v České republice a jeho pokroku v posledním roce.

Sobotní program nabídl čtyři diskuzní bloky s odborníky, které umožnily hlubší vhled do problematiky léčby renálního karcinomu, přístupů k pokročilému karcinomu prostaty a diskuze o fúzní biopsii, indikacích a významu spolupráce s radiologem. Poslední blok se zabýval tématem vysoce rizikového neinfiltrujícího karcinomu měchýře. Mezinárodní setkání bylo ve spolupráci s prof. Kamat, který nabídl hlubší porozumění jednotlivých skupin BCG (Bacillus Calmette-Guérin) selhání, možnosti intravezikální terapie, důležitost pozornosti k lymfangioinvazi a variantním histologiím.

Závěrem lze říci, že letošní ročník konference podtrhl nezbytnost mezioborové spolupráce a přinesl cenný přehled nejnovějších poznatků v oblasti onkourologie. Příští ročník se uskuteční v termínu 15. a 16. května 2026.

Czech Urology Boot Camp 2025

Czech Urology Boot Camp 2025

Kateřina Dušková

Michaela Dvořáková

Z pohledu organizátorů

Třetí ročník akce Urology Boot Camp se uskutečnil v sobotu 30. srpna 2025 v Praze v rámci konference EUREP (the European Urology Residents Education Programme). Akce vznikla ve spolupráci České urologické společnosti ČLS JEP (ČUS), European School of Urology (ESU) a Evropské urologické asociace (EAU – European Association of Urology). Formát kurzu je od počátku založen na principu 1 rezident : 1 lektor : 1 stanoviště, který zajišťuje maximálně intenzivní a individuální výuku.

Stejně jako v minulých letech byla kapacita 16 účastníků naplněna velmi rychle. Na organizaci se podílel tým českých lektorů z několika pracovišť, kteří věnovali svůj čas a energii předávání dovedností mladším kolegům.

MUDr. Kateřina Dušková Urologická klinika 2. LF UK a FN Motol V Úvalu 84 150 06 Praha Katerina.Duskova@fnmotol.cz

Program zahrnoval čtyři hlavní bloky:

• laparoskopie – základní techniky a nácvik sutury;

• endoskopie horních močových cest – katetrizace ureteru, práce s flexibilním i semirigidním ureteroskopem;

• TURP na trenažéru – sestavení přístroje, resekce tkáně, koagulace a výplach;

• flexibilní cystoskopie a výkony na zevním genitálu – vyšetření skrota, cirkumcize, epicystostomie.

Velkým přínosem kurzu byla skutečnost, že lektor mohl strávit s jedním rezidentem celý 90minutový blok. Tento formát umožnil nejen předání praktických dovedností, ale také navázání nových profesních vztahů. Výrazně k celkovému dojmu přispělo i kvalitní zázemí hotelu Clarion, zajištěný catering

Obr. 1. Stanoviště zaměřená na nácvik laparoskopických dovedností.

Fig. 1. Stations focused on laparoscopic skills training.

a bezchybná organizace. Akce, které jsem se účastnila již podruhé, pro mě představuje inspirativní profesní a osobní zkušenost. Zvláštní poděkování patří MUDr. Vojtěchu Novákovi za každoroční vedení a koordinaci celého projektu.

Z pohledu účastníka

Pro rezidenty v prvních letech specializační přípravy se od roku 2023 v České republice pravidelně uskutečňuje Boot Camp, tedy jednodenní intenzivní kurz urologických chirurgických dovedností, který se postupně rozšiřuje i do dalších evropských zemí.

Vzhledem k rychlému obsazení kapacity kurzu mohu říci, že jsem měla to štěstí se letošního ročníku zúčastnit a vyzkoušet si výše zmíněné urologické operační techniky. Lektoři měli empatický a přátelský přístup, vše nám ochotně a trpělivě vysvětlovali a díky dostatečnému časovému prostoru jsme mohli operační postupy detailně probrat a zároveň prakticky vyzkoušet na realistických modelech. Formát 1 : 1 : 1 umožnil intenzivní práci s instruktorem a okamžitou zpětnou vazbu, což pro nás bylo velmi přínosné.

Současně jsme měli příležitost si u výuky i dobře popovídat, a tím poznat kolegy napříč českými nemocnicemi – jak zkušenější lékaře, tak ostatní rezidenty. K příjemné atmosféře přispěly i dobře zorganizované přestávky s občerstvením, během nichž jsme měli příležitost k neformálním rozhovorům a k odpočinku.

Kurz celkově nejen obohatil naše praktické dovednosti, ale přinesl i příjemnou zkušenost profesního a osobního setkávání, která je pro začátek rezidentury velmi inspirující.

Závěr

Urology Boot Camp 2025 navázal na tradici předchozích let a opět potvrdil své místo v kalendáři českých urologických vzdělávacích akcí. Organizátoři i účastníci se shodují, že tato forma intenzivního tréninku je neocenitelným startem do rezidentury a přispívá ke sjednocení standardů praktických dovedností napříč Evropou.

Střet zájmů: Autorky prohlašují, že nemají žádný konflikt zájmů. Prohlášení o podpoře: Zpracování této zprávy nebylo podpořeno žádnou společností.

Obr. 2. Stanoviště zaměřené na nácvik transuretrální resekce (TURP) na trenažeru.

Fig. 2. Station focused on transurethral resection (TURP) training on a simulator.

Obr. 3. Účastníci a organizátoři Czech Urology Boot Camp 2025. Fig. 3. Participants and organizers of the Czech Urology Boot Camp 2025. Autoři fotografií: Pablo Linares Yanes, Ondřej Příman.

NOVÁ INDIKACE

u pacientů s resekovatelným invazivním karcinomem močového měchýře (MIBC).1

U pacientů s MIBC vhodných k léčbě režimem založeným na cisplatině věnujte pozornost

VÝZNAMNÉMU

ZLEPŠENÍ OS

S

REŽIMEM NIAGARA 1,2

(neoadjuvantní terapie IMFINZI + gemcitabin–cisplatina následovaná adjuvantní léčbou IMFINZI)

Studie fáze III NIAGARA prokázala snížení rizika vzniku sledovaných událostí† o 32 % a snížení rizika úmrtí o 25 % u režimu s přípravkem IMFINZI ve srovnání se samotnou neoadjuvantní chemoterapií.1,2

PŘEŽITÍ BEZ VÝSKYTU UDÁLOSTÍ (EFS)

(DVOJITÝ PRIMÁRNÍ CÍL † PŘEDEM PLÁNOVANÁ INTERIM ANALÝZA; UZÁVĚRKA DAT: 29. DUBNA 2024) 1,2

SNÍŽENÍ RIZIKA VZNIKU UDÁLOSTÍ (progrese, recidiva, úmrtí nebo neprovedení radikální cystektomie (RC)) při léčbě režimem NIAGARA* (187/533) ve srovnání s neoadjuvantní léčbou gemcitabin–cisplatina (246/530) (HR = 0,68 [95% CI, 0,56–0,82]; P < 0,001).*

• Medián EFS nebyl při léčbě režimem NIAGARA* v době analýzy dosažen (95% CI, NR–NR), zatímco při neoadjuvantní léčbě gemcitabin–cisplatina činil 46,1 měsíce (95% CI, 32,2–NR).

• Do analýzy EFS byli zahrnuti všichni pacienti bez ohledu na to, zda byla provedena operace.

Medián doby sledování byl 42,3 měsíce (rozmezí: 0,03–61,3). Oboustranná hodnota P; hranice pro prokázání statistické významnosti byla stanovena na 0,0412.

DOSAŽENÍ PATOLOGICKÉ KOMPLETNÍ ODPOVĚDI ( p CR)

(DVOJITÝ PRIMÁRNÍ CÍL; UZÁVĚRKA DAT: 14. LEDNA 2024) 1,2

PACIENTŮ DOSÁHLO pCR

33,8

při léčbě režimem NIAGARA* (180/533) ve srovnání s 25,8 % při neoadjuvantní léčbě gemcitabin–cisplatina (137/530) (RR = 1,3 [95% CI, 1,09–1,56]; p = 0,004).

Výsledky nejsou hodnoceny jako statisticky významné, protože hranice statistické významnosti byla kvůli alokaci alfy stanovena na 0,001.

CELKOVÉ PŘEŽITÍ

(OS)

(KLÍČOVÝ SEKUNDÁRNÍ CÍL; PŘEDEM PLÁNOVANÁ INTERIM ANALÝZA, UZÁVĚRKA DAT: 29. DUBNA 2024) 1,2

SNÍŽENÍ RIZIKA

ÚMRTÍ při léčbě režimem NIAGARA (136/533) ve srovnání s neoadjuvantní léčbou gemcitabin–cisplatina (169/530) (HR = 0,75 [95% CI, 0,59–0,93]; P = 0,01).*

• Medián celkového přežití (OS) nebyl dosažen ani při léčbě režimem NIAGARA (95% CI, NR–NR), ani při neoadjuvantní léčbě gemcitabin–cisplatina (95% CI, NR–NR).*

Medián doby sledování byl 46,3 měsíce (rozmezí: 0,03–64,7). Oboustranná hodnota P; hranice pro prokázání statistické významnosti byla stanovena na 0,0154.

*Neoadjuvantní léčba přípravkem IMFINZI v kombinaci s gemcitabinem a cisplatinou, následovaná adjuvantní monoterapií přípravkem IMFINZI po radikální cystektomii.2 † Přežití bez výskytu událostí bylo definováno jako čas od randomizace do prvního výskytu recidivy onemocnění po radikální cystektomii, času do první dokumentované progrese u pacientů, u nichž nebylo možné RC provést, času plánované operace u pacientů, kteří RC odmítli, selhání provedení RC kvůli reziduálnímu onemocnění, nebo úmrtí z jakékoli příčiny – podle toho, co nastalo jako první. Nepodstoupení RC bylo považováno za událost.3 NIAGARA byla randomizovaná, otevřená, multicentrická studie fáze III u pacientů, kteří byli kandidáty k radikální cystektomii a dosud nepodstoupili systémovou chemoterapii ani imunoterapii pro léčbu resekovatelného invazivního karcinomu močového měchýře. Celkem 1063 pacientů bylo randomizováno v poměru 1:1 k podání neoadjuvantní léčby přípravkem IMFINZI (1500 mg) v kombinaci s gemcitabinem (1000 mg/m2 v 1. a 8. den) a cisplatinou (70 mg/m2 v 1. den, nebo – pokud byla

ŠÉFREDAKTOR / EDITOR-IN-CHIEF

prof. MUDr. Milan Hora, Ph.D., MBA

Urologická klinika LF UK a FN Plzeň

VÝKONNÁ REDAKČNÍ RADA / EXECUTIVE EDITORIAL BOARD

doc. MUDr. Antonín Brisuda, Ph.D., FEBU

Urologická klinika 2. LF UK a FN Motol, Praha

doc. MUDr. Michal Fedorko, Ph.D., FEBU

Urologická klinika LF UK a FN Brno

doc. MUDr. Michal Staník, Ph.D. Oddělení onkourologie, MOÚ, Brno

prof. MUDr. Jan Krhut, Ph.D.

Urologická klinika LF OU a FN Ostrava

prof. MUDr. Viktor Soukup, Ph.D., FEBU

Urologická klinika 1. LF UK a VFN v Praze prof. MUDr. Roman Zachoval, Ph.D.

Urologická klinika 3. LF UK a FTN, Praha

REDAKČNÍ RADA / EDITORIAL BOARD

prof. MUDr. Marek Babjuk, CSc.

Urologická klinika 2. LF UK a FN Motol, Praha

prof. MUDr. Miloš Broďák, Ph.D.

Urologická klinika LF UK a FN Hradec Králové

prof. MUDr. Tomáš Büchler, Ph.D.

Onkologická klinika 2. LF UK a FN Motol, Praha

doc. MUDr. Otakar Čapoun, Ph.D.

Urologická klinika 1. LF UK a VFN v Praze as. MUDr. Olga Dolejšová, Ph.D.

Urologická klinika LF UK a FN Plzeň

prof. dr hab. n. med. Tomasz Drewa, FEBU

Urology Department, Nicolaus Copernicus Hospital, Bydgoscz, Polsko

prof. MUDr. Ondřej Fiala, PhD.

Onkologická a radioterapeutická klinika LF UK a FN Plzeň

doc. MUDr. Richard Fiala, CSc, FEBU Causeway Hospital, Coleraine, Severní Irsko doc. MUDr. Robert Grill, Ph.D. Urologická klinika 3. LF UK a FNKV, Praha Erik Havranek, MD FEBU FRCS (Urol) Northwick Park Hospital, Harrow a Central Middlesex Hospital, Londýn, GB

Česká urologie / Czech Urology

doc. MUDr. Jiří Heráček, Ph.D., MBA

Urologická klinika 1. LF UK a ÚVN – VFN Praha

MUDr. Jan Hrbáček, Ph.D. Urologické oddělení, FN Bulovka, Praha as. MUDr. Tomáš Pitra, Ph.D. Urologická klinika LF UK a FN Plzeň

doc. MUDr. Kristýna Pivovarčíková, Ph.D.

Šiklův ústav patologie LF UK a FN Plzeň

Piotr L. Chlosta, MD, PhD, DSci, FEBU Department of Urology, Jagiellonian University in Krakow, Polsko

MUDr. Milan Král, Ph.D.

Urologická klinika LF UP a FN Olomouc

doc. MUDr. Ivan Minčík, Ph.D. Klinika urológie, FZO PU v Prešově, Slovensko

PD Dr. habil. Vladimír Novotný Urologische klinik, Städtisches Klinikum Görlitz, Německo

prof. Peter Nyirády M.D., Ph.D., D.Sc., FEBU Department of Urology and Centre for Urooncology, Semmelweis University, Budapešť, Maďarsko

MUDr. Aleš Petřík, Ph.D. Urologické oddělení, FN České Budějovice

MUDr. Jan Schraml, Ph.D. Klinika urologie a robotické chirurgie FZS UJEP a Krajská zdravotní, a.s. –Masarykova nemocnice v Ústí nad Labem, o. z.

doc. MUDr. Vladimír Študent Jr., Ph.D., FEBU

Urologická klinika LF UP a FN Olomouc

prof. MUDr. Ján Švihra, PhD. Urologická klinika JLF UK a UNM Martin, Slovensko

doc. MUDr. Štěpán Veselý, PhD. Urologická klinika 2. LF UK a FN Motol, Praha

MUDr. Robert Wagenhoffer Urologische Klinik, Klinikum Ingolstadt, Německo

doc. MUDr. Peter Weibl, Ph.D. Urologie, Landesklinikum Korneuburg, Rakousko

doc. MUDr. Miroslav Záleský, Ph.D. Urologická klinika 1. LF UK a ÚVN – VFN Praha

Peter Zvara, M.D., Ph.D. Department of Urology and Biomedical Laboratory, University of Southern Denmark Odense, Dánsko

září 2025 / ročník 29 / č. 3 / vychází: 25. 9. 2025

Vydavatel: Česká lékařská společnost J. E. Purkyně, Sokolská 31, 120 26 Praha 2 Šéfredaktor: prof. MUDr. Milan Hora, Ph.D., MBA, Urologická klinika LF UK a FN Plzeň, horam@fnplzen.cz Nakladatel: Care Comm s.r.o., Klicperova 604/8, 150 00 Praha 5, www.carecomm.cz Odpovědná redaktorka: Mgr. Adéla Holčáková, adela.holcakova@carecomm.cz Jazyková korektura: Mgr. Irena Kratochvílová Grafická úprava: Barbora Kosinová Inzerce: Mgr. Simona Dorňáková, simona.dornakova@carecomm.cz, +420 731 202 341 Rukopisy posílejte prostřednictvím redakčního systému ACTAVIA na webových stránkách www.czechurol.cz. Vychází: 4× ročně, online. Určeno odborné veřejnosti. Zaslané příspěvky se nevracejí. Nakladatel získá publikací příspěvku výlučné nakladatelské právo k jeho užití. Vydavatel a redakční rada upozorňují, že za obsah a jazykové zpracování inzerce odpovídá výhradně inzerent. Žádná část tohoto časopisu nesmí být kopírována a rozmnožována za účelem dalšího rozšiřování v jakékoliv formě či jakýmkoliv způsobem, ať již mechanickým či elektronickým, vč. pořizování fotokopií, nahrávek, informačních databází na magnetických nosičích, bez písemného souhlasu vlastníka autorských práv a vydavatelského oprávnění.

www.czechurol.cz

ISSN (online) 2336–5692

Pokyny pro autory najdete zde:

POZVÁNKA NA SATELITNÍ SYMPOZIUM

SPOLEČNOSTI NOVARTIS

v rámci 71. výroční konference České urologické společnosti.

čtvrtek 23. 10. 2025, 12:00 – 13:00 hod., Sál 1

Kongresové centrum Aldis, Hradec Králové

doc. MUDr. Vladimír Šámal, Ph.D.

Multidisciplinární spolupráce v léčbě pokročilého karcinomu prostaty: role urologa a PSMA PET

doc. MUDr. Igor Richter, Ph.D.

Léčebný algoritmus mCRPC: kde stojí PSMA cílená terapie?

MUDr. Jozef Kubínyi, Ph.D.

Pluvicto v praxi: zkušenosti s PSMA cílenou radioligandovou terapií

INDIKACE

Přípravek PLUVICTO® v kombinaci s androgen deprivační terapií (ADT) s nebo bez inhibice dráhy androgenního receptoru (AR) je indikován k léčbě dospělých pacientů s progresivním metastazujícím kastračně rezistentním karcinomem prostaty (mCRPC) pozitivním na prostatický specifický membránový antigen (PSMA), kteří byli léčeni inhibicí dráhy AR a chemoterapií na bázi taxanů.

Reference: 1. Souhrn údajů o přípravku PLUVICTO®, datum poslední revize 8.5.2025, www.sukl.gov.cz.

Zkrácená informace o přípravku Pluvicto 1 000 MBq/ml injekční/infuzní roztok qTento léčivý přípravek podléhá dalšímu sledování. To umožní rychlé získání nových informací o bezpečnosti. Žádáme zdravotnické pracovníky, aby hlásili jakákoli podezření na nežádoucí účinky. Podrobnosti o hlášení nežádoucích účinků viz SPC bod 4.8. Složení: Jeden ml roztoku obsahuje 1 000 MBq lutecia-(177Lu) vipivotidu tetraxetanu ke dni a času kalibrace. Indikace: Přípravek Pluvicto v kombinaci s androgen deprivační terapií (ADT) s nebo bez inhibice dráhy androgenního receptoru (AR) je indikován k léčbě dospělých pacientů s progresivním metastazujícím kastračně rezistentním karcinomem prostaty (mCRPC) pozitivním na prostatický specifický membránový antigen (PSMA), kteří byli léčeni inhibicí dráhy AR a chemoterapií na bázi taxanů. Dávkování: Pacienti mají být identifikováni pro léčbu pomocí zobrazení PSMA. Doporučený léčebný režim přípravku Pluvicto je 7 400 MBq intravenózně každých 6 týdnů (± 1 týden) až do celkového počtu 6 dávek, pokud nedojde k progresi onemocnění nebo nepřijatelné toxicitě. U pacientů, kteří nejsou chirurgicky kastrováni, má během léčby pokračovat chemická kastrace analogem hormonu uvolňujícího gonadotropin (GnRH). Kontraindikace: Hypersenzitivita na léčivou látku nebo na kteroukoli pomocnou látku. Zvláštní upozornění/opatření: U každého pacienta musí být radiační expozice odůvodněna pravděpodobným přínosem. Podaná dávka radioaktivity má být v každém případě tak nízká, jak je rozumně dosažitelné, aby bylo možné zajistit požadovaný terapeutický efekt. Přípravek Pluvicto přispívá k celkové dlouhodobé kumulativní radiační expozici pacienta. Dlouhodobá kumulativní radiační expozice je spojena se zvýšeným rizikem vzniku nádorových onemocnění. Radiační expozice pacientů, zdravotnického personálu a dalších osob má být během léčby přípravkem Pluvicto a po ní minimalizována v souladu se správnou praxí radiační bezpečnosti dané instituce, s postupy péče o pacienty a pokyny pro pacienta ohledně následné radiační ochrany doma. Pacienti mají být vyzváni, aby zvýšili množství perorálních tekutin a zároveň co nejčastěji močili, aby se snížila radiace močového měchýře. Před propuštěním pacienta má radiolog nebo zdravotnický pracovník vysvětlit nezbytná radioprotektivní opatření, která má pacient dodržovat, aby se minimalizovala radiační zátěž ostatních. Před a během léčby přípravkem Pluvicto mají být provedeny hematologické laboratorní testy, které zahrnují hemoglobin, počet leukocytů, absolutní počet neutrofilů a počet trombocytů. Přípravek Pluvicto má být vysazen, dávka snížena nebo léčba trvale ukončena a pacienti mají být klinicky léčeni dle vhodnosti na základě závažnosti myelosuprese. Laboratorní testy funkce ledvin, včetně sérového kreatininu a vypočtené Clcr, mají být provedeny před a během léčby přípravkem Pluvicto. Přípravek Pluvicto má být vysazen, dávka snížena nebo léčba trvale ukončena na základě závažnosti renální toxicity. U pacientů s lehkou až středně těžkou poruchou funkce ledvin je třeba sledovat renální funkce a nežádoucí účinky. Léčba přípravkem Pluvicto se nedoporučuje u pacientů se středně těžkou až těžkou poruchou funkce ledvin s výchozí hodnotou Clcr < 50 ml/min nebo s onemocněním ledvin v terminálním stádiu. Radiace lutecia-(177Lu) vipivotidu tetraxetanu může mít potenciálně toxické účinky na mužské pohlavní žlázy a spermatogenezi. Pokud si pacient přeje mít po léčbě děti, doporučuje se genetická konzultace. Interakce: Nebyly provedeny žádné klinické studie lékových interakcí. Těhotenství a kojení: Přípravek Pluvicto není indikován k použití u žen. Nebyly provedeny žádné studie na zvířatech s použitím lutecia-(177Lu) vipivotidu tetraxetanu k hodnocení jeho účinku na samičí reprodukci a embryofetální vývoj. Neexistují žádné údaje o přítomnosti lutecia-(177Lu) vipivotidu tetraxetanu v mateřském mléce. Vliv na řízení vozidel a obsluhu strojů: Přípravek Pluvicto může mít malý vliv na schopnost řídit a obsluhovat stroje. Nežádoucí účinky: Velmi časté: Anemie, trombocytopenie, leukopenie, lymfopenie, sucho v ústech, nauzea, zácpa, zvracení, průjem, bolest břicha, infekce močových cest, únava, snížená chuť k jídlu, pokles tělesné hmotnosti, periferní edém. Časté: Pancytopenie, závrať, bolest hlavy, dysgeuzie, suché oko, vertigo, akutní poškození ledvin, periferní edém, pyrexie, porucha jícnu, stomatitida, suchá kůže, plísňové infekce v ústech. Další nežádoucí účinky - viz úplná informace o přípravku. Podmínky uchovávání: Chraňte před mrazem. Uchovávejte v původním obalu, aby byl přípravek chráněn před ionizujícím zářením (olověné stínění). Uchovávání radiofarmak musí být v souladu s národními předpisy pro radioaktivní látky. Dostupné lékové formy/velikosti balení: Každá injekční lahvička obsahuje objem roztoku, který se může pohybovat od 7,5 ml do 12,5 ml, což odpovídá radioaktivitě 7 400 MBq ± 10 % ke dni a času podání. Injekční lahvička je uzavřena v olověném kontejneru pro ochranné stínění. Poznámka: Dříve než lék předepíšete, přečtěte si pečlivě úplnou informaci o přípravku. Registrační číslo: EU/1/22/1703/001. Datum registrace: 9. 12. 2022. Datum poslední revize textu SPC: 8. 5. 2025. Držitel rozhodnutí o registraci: Novartis Europharm Limited, Vista Building, Elm Park, Merrion Road, Dublin 4, Irsko. Výdej přípravku je vázán na lékařský předpis, přípravek je hrazen z prostředků veřejného zdravotního pojištění.

Turn static files into dynamic content formats.

Create a flipbook
Issuu converts static files into: digital portfolios, online yearbooks, online catalogs, digital photo albums and more. Sign up and create your flipbook.