Lustovacka_5-2025

Page 1


Gastroenterologie a hepatologie

Gastroenterology and Hepatology

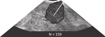
EUS-FNA diagnosis

BenignAdenocarcinoma

NETUnspecified primary malignancy

Other*Non-diagnostic

survival 69.3%10.2%66.7%25%80%66.7%

* 2× metastasis, 1× lymphoma, 1× autoimmune pancreatitis, 1× solid pseudopapillary tumor

Koller T, Vrbová P, Holst G et al. Clinical utility of EUS-guided sampling of solid pancreatic lesions: diagnostic spectrum, treatment strategies, and prognostic insights from a single center. Gastroent Hepatol 2025; 79(5): 344–355. doi: 10.48095/ccgh2025344.

asopis eské gastroenterologické spole nosti, eské hepatologické spole nosti, Slovenskej gastroenterologickej spolo nosti a Slovenskej hepatologickej spolo nosti

Vydává LS JEP – indexed in SCOPUS, CHEMICAL TITLES, EXCERPTA MEDICA/EMBASE, CHEMICAL ABSTRACTS, EBSCO, INIS Atomindex, Food Science and Technology Abstracts, Bibliographia Medica echoslovaca, Index Copernicus, Bibliovigilance

GASTROINTESTINÁLNÍ ONKOLOGIE

Hodnocení programu screeningu kolorektálního karcinomu v R

Endoskopická lé ba poopera ní stenózy jícnu

Clinical utility of EUS-guided sampling of solid pancreatic lesions

Skríning kolorektálneho karcinómu na Slovensku

80 let

Stereotaktická radioterapie v lé b hepatocelulárního karcinomu

8. kongres eské gastroenterologické spole nosti LS JEP: abstrakta p ednášek

ISSN - (Print); ISSN - X (On-line)

ro ník íslo

Gastrointestinálna onkológia

Gastrointestinal oncology

Vážení čitatelia Gastroenterologie a hepatologie, po horúcom lete prichádza jeseň, a k nej už tradične patrí v poradí piate tohtoročné číslo nášho časopisu.Tak ako každý rok je venované problematike gastrointestinálnej onkológie. Najväčšou onkologickou témou v gastroenterológii je skríning kolorektálneho karcinómu. Táto téma si tradične zaslúžila samostatný editoriál, ale mňa nesmierne teší, že po dlhšej prestávke vám prinášame správu o situácii na Slovensku. Pevne verím, že táto správa dr. Andreja Orságha bude mať pokračovanie v ďalších rokoch a bude predmetom horúcich odborných diskusií, ktoré pomôžu našu aktuálnu situáciu zlepšiť. Z ostatných menej nosných, ale rovnako dôležitých tém, ich v novom čísle nájdeme hneď niekoľko.

Prvou je správa dr. Petra Hříbka o novej modalite liečby hepatocelulárneho karcinómu. Medzi potenciálne kuratívne modality patrili doposiaľ chirurgická resekcia, rádiofrekvenčná ablácia alebo transplantácia pečene. K nim v súčasnosti pribudla moderná neinvazívna metóda, tzv. stereotaktická rádioterapia.

Autori prinášajú prehľad možného využitia a prvé vlastné skúsenosti pri liečbe pacientov.

Druhou je správa z nášho pracoviska V. internej kliniky LF UK a UN Bratislava o klinickom využití EUS navigovanej tenko-ihlovej biopsie solídnych pankreatických lézií. Je to prvá správa zo Slovenska, ktorá dopĺňa v minulosti publikované skúsenosti z Českej republiky a prináša aj niekoľko unikátnych pohľadov. Metóda sa ukazuje nielen ako presný diagnostický nástroj, ale ukázalo sa, že má aj silný prognostický význam. Naviac, ak u malígnych lézií, ktorých bolo takmer 84 %, došlo ku nasadeniu cielených liečebných modalít, tieto mali pre pacientov prospech vo forme zlepšeného celkového prežívania.

Treťou je prezentácia dr. Kateřiny Košťálovej, ktorá preberá kazuistiku 75-ročnej ženy po ezofagektómii pre adenokarcinóm, u ktorej sa objavila pomerne raritná kombinácia komplikácií vo forme anastomotickej dehiscencie, ktorej hojenie spôsobilo refraktérnu anastomotickú stenózu. Autori veľmi prehľadne prezentujú správne nača-

sovanie a použitie dvoch moderných metód: endoskopickej vákuovej terapie na liečbu dehiscencie anastomózy a netradičné využitie kovového lúmen apozičného stentu na liečbu refraktérnej anastomotickej stenózy.

Vážení kolegovia, všetci vnímame, že náš časopis nie je určený na prezentovanie najnovších prevratných objavov medicíny. Som však presvedčený, že Gastroenterológia a hepatológia zostáva časopisom, ktorý do histórie zaznamenáva vnútorný svet našich gastroenterologických a hepatologických pracovísk. Jeho obsah prináša správnu kombináciu postgraduálneho vzdelávania, prezentácie moderných diagnostických a liečebných postupov, ako aj vlastných skúseností s nimi. Pri spoznávaní tohto sveta vám preto prajem veľa pohodových jesenných večerov. Zároveň ďakujem všetkým prispievateľom a želám im veľa elánu do ďalšej tvorivej práce.

doc. MUDr. Tomáš Koller, PhD. koeditor sekcie Gastrointestinálna onkológia tomas.koller@fmed.uniba.sk

Screening kolorektálního karcinomu

Colorectal cancer screening

Š. Suchánek

Interní klinika a Ústav gastrointestinální onkologie . LF UK a ÚVN Praha

Podrobný článek autorů z Národního screeningového centra Ústavu zdravotnických informací (NSC ÚZIS ČR) (Ambrožová etal.) představuje analýzu nejnovějších dat z Národního screeningu KRK v České republice (ČR). Pozitivní zprávou je zejména pokračující trend poklesu incidence (32,5 %) a mortality (49,3 %) KRK od roku 2000. Zároveň je příznivé, že postupně dochází ke snižování pozitivity testů na okultní krvácení (TOKS), která v roce 2020 poprvé v historii překonala 10% hranici a dle posledních dostupných dat z roku 2024 došlo k jejímu poklesu na 8,7 %. To je dobrým krokem ke snížení počtu TOKS-pozitivních koloskopií, což může sekundárně vést ke zkrácení čekacích dob na toto vyšetření. Potěšitelné je, že od pandemie co-

vidu-19 v roce 2020 postupně narůstá účast cílové populace na screeningu KRK a v loňském roce dosáhla hodnot zaznamenaných naposledy před 10 lety. Na druhou stranu v posledních letech stále klesají počty koloskopií po pozitivním TOKS, což je problém, který je nutné podrobně rozklíčovat.

Nejvýznamnější změnou programu za mnoho posledních let bude úprava věkové hranice na 45–74 let věku. Opodstatnění tohoto kroku je v článku přesně zdokumentováno, ať už jde o nárust incidence a mortality KRK a vysoký podíl pokročilých stadií u mladších osob, nebo nízký podíl úmrtí na KRK u osob starších 75 let, či příznivé nákladově efektivní analýzy v dlouhodobém horizontu. Přípravné kroky této změny již běží a počátek nového designu programu je plánován na 1. 1. 2026.

Další autoři z NSC ÚZIS ČR (Rybenská et al.) se zaměřili na shrnutí informací ohledně podpory programu screeningu KRK ze strany Ministerstva zdravotnictví. Konkrétně na výzvu k předkládání žádostí o finanční podporu pro Centra pro screeningovou kolonoskopii. Finanční alokace této výzvy dosáhla 158,5 milionů Kč a jednotlivá pracoviště mohla získat dotaci až 2 milionyKč. Z dostupných dat je patrné, že z 81 podaných žáVážené kolegyně, vážení kolegové, dostávásek vámpodzimníčísločasopisu Gastroenterologie a hepatologie, které je tradičně zaměřeno na gastrointestinální onkologii. Obsahuje skvělé články na téma EUS u solidních pankreatických lézí, stereotaktické radioterapie u hepatocelulárního karcinomu a endoskopické vakuové terapie u dehiscence anastomózy po resekci jícnu pro karcinom. Nicméně jako každý rok je dominantním tématem screening kolorektálního karcinomu (KRK).

dostí bylo 64 schváleno, a ještě zbývá zveřejnit poslední kolo schvalování.

Pro mne osobně byl velmi zajímavý článek kolegů ze Slovenska (Orságh etal.) týkající se jejich zkušeností s programem screeningu KRK. Organizace je podobná jako v ČR, s využitím dvou metod (TOKS à 2 roky a screeningová koloskopie à 10 let). Nicméně věková hranice je stanovena na 50–75 let. I na Slovensku dochází k postupnému poklesu incidence a mortality KRK, pozitivita TOKS je obdobná (8,1 %) a významným pozitivním faktem je účast cílové populace (48 %). Zásadní výzvou je získávání kvalitních dat a jejich systematické vyhodnocování. Jak vyplývá i z tohoto čísla časopisu, tak zejména díky NSC ÚZIS ČR se tuto výzvu v České republice podařilo zvládnout.

Přeji vám inspirativní čtení

doc. MUDr. Štěpán Suchánek, Ph.D. koeditor sekce Gastrointestinální onkologie předseda Komise pro screening KRK MZ ČR stepan.suchanek@uvn.cz

Obsah

Gastrointestinálna onkológia

Gastrointestinal oncology

Editorial T. Koller

Screening kolorektálního karcinomu

Colorectal cancer screening

Editorial

Š. Suchánek

GASTROINTESTINÁLNÍ ONKOLOGIE I GASTROINTESTINAL ONCOLOGY

Endoskopický management dehiscence a refrakterní stenózy gastroezofageální anastomózy po robotické Ivor Lewisov operaci pro adenokarcinom jícnu

Endoscopic management of a gastroesophageal anastomotic leak and refractory stricture following robotic Ivor Lewis esophagectomy for esophageal adenocarcinoma

Kazuistika | Case report

K. Koš álová, J. Csomor, Z. Vacková, R. Pohnán, P. Urbánek, Š. Suchánek

Clinical utility of EUS-guided sampling of solid pancreatic lesions: diagnostic spectrum, treatment strategies, and prognostic insights from a single center

Klinická užito nos EUS-navigovanej punkcie solídnych pankreatických lézií z jedného centra: diagnostické spektrum, lie ebné režimy a prognostické súvislosti

Original article | Pôvodná práca

T. Koller, P. Vrbová, G. Holst, D. Dudová, I. Me iarová, V. Gál, M. Tomáš, J. Dolník

Stereotaktická radioterapie v lé b hepatocelulárního karcinomu

Stereotactic body radiotherapy in the treatment of hepatocellular carcinoma

P ehledový lánek | Review article

P. H íbek, F. T ebický, P. Urbánek

Hodnocení programu screeningu kolorektálního karcinomu v eské republice

Evaluation of the colorectal cancer screening program in the Czech Republic

P vodní práce | Original article

M. Ambrožová, P. Dvo ák, R. Chloupková, O. Ngo, V. Rybenská, K. Hejduk, L. Dušek, O. Májek

Zpráva o pr b hu dota ní výzvy na podporu pracoviš pro screeningovou koloskopii v rámci Národního plánu obnovy

Report on the progress of the call for proposals to support screening colonoscopy centers under the National Recovery Plan

R zné | Others

V. Rybenská, K. Hejduk, O. Májek, Š. Suchánek

Skríning kolorektálneho karcinómu na Slovensku

Colorectal cancer screening in Slovakia

Pôvodná práca | Original article

A. Orságh, R. Novota, A. Štrbavý, J. Trautenberger Ricová

IBD

Guselkumab v terapii idiopatických st evních zán t

Guselkumab in the treatment of inflammatory bowel diseases

P ehledový lánek | Review article

M. Lukáš

Disease clearance – nový horizont v ulceróznej kolitíde

Disease clearance – a new horizon in ulcerative colitis

Preh adová práca | Review article

I. Šturdík, A. Gojdi ová, S. Majna, J. Skubáková, Z. Vrablicová, J. Tóth, T. Hlavatý

HEPATOLOGIE I HEPATOLOGY

Novinky v lé b primární biliární cholangitidy

New developments in the treatment of primary biliary cholangitis

P ehledová práce | Review article

L. Husová

R ZNÉ | OTHERS

Výb ry z mezinárodních asopis

The selection from international journals

Komentá e | Comments

Správná odpov na p edchozí kvíz

Answer to the quiz

M. Lukáš

Galerie „otc zakladatel “ gastroenterologické spole nosti

Profesor MUDr. Karel Herfort, DrSc. –

M. Lukáš

. výro í založení eské gastroenterologické spole nosti

th anniversary of the founding of the Czech Gastroenterological Society

M. Lukáš

. kongres eské gastroenterologické spole nosti: abstrakta p ednášek

Abstrakta | Abstracts

doi: . /ccgh

Endoskopický management dehiscence a refrakterní stenózy gastroezofageální anastomózy po robotické Ivor Lewisov operaci

pro adenokarcinom jícnu

Endoscopic management of a gastroesophageal anastomotic leak and refractory stricture following robotic Ivor Lewis esophagectomy for esophageal adenocarcinoma

K. Koš álová – , J. Csomor , Z. Vacková , R. Pohnán , P. Urbánek , Š. Suchánek , Odd lení gastrointestinální endoskopie, Interní klinika . LF UK a ÚVN – VFN Praha Ústav gastrointestinální onkologie, ÚVN – VFN Praha Katedra vojenského vnit ního léka ství, Vojenská léka ská fakulta UO, Hradec Králové Chirurgická klinika . LF UK a ÚVN – VFN Praha

Souhrn: Úvod: Dehiscence gastroezofageální anastomózy po ezofagektomii představuje závažnou a život ohrožující komplikaci. Endoskopická vakuová terapie (EVT) se v poslední dekádě stala preferovanou miniinvazivní léčebnou metodou. Ani po jejím úspěšném použití však není vyloučeno riziko rozvoje benigní stenózy, která může být v některých případech refrakterní na dilatační léčbu. Popis případu: Prezentujeme případ 75leté pacientky po roboticky asistované Ivor Lewisově ezofagektomii pro adenokarcinom jícnu, u níž došlo k rozsáhlé dehiscenci anastomózy s únikem obsahu do pleurální dutiny. Komplikace byla úspěšně zvládnuta pomocí EVT. V následném průběhu se rozvinula refrakterní stenóza nereagující na opakované balonové dilatace, kterou se podařilo efektivně vyřešit zavedením lumen apozičního metalického stentu (LAMS). Závěr: Kazuistika ilustruje úspěšné využití moderních endoskopických postupů, konkrétně EVT a stentáže pomocí LAMS, v léčbě závažných komplikací po ezofagektomii. Klíčová byla těsná mezioborová spolupráce. Endoskopický přístup umožnil zhojení defektu bez chirurgické reintervence a efektivní řešení refrakterní stenózy s minimální zátěží pro pacientku.

Klí ová slova: endoskopická vakuová terapie – lumen apoziční metalický stent – refrakterní stenóza – ezofagektomie – dehiscence anastomózy –miniinvazivní endoskopie – karcinom jícnu

Summary: Background: An anastomotic leak following esophagectomy represents a severe, life-threatening complication. Over the past decade, endoscopic vacuum therapy (EVT) has become the preferred minimally invasive treatment modality. However, even after successful EVT, benign strictures may develop, which in some cases can be refractory to endoscopic dilation. Case presentation: We present the case of a 75-year-old female patient who underwent robot-assisted Ivor Lewis esophagectomy for esophageal adenocarcinoma and subsequently developed an extensive anastomotic dehiscence with leakage of luminal contents into the pleural cavity. The complication was successfully managed with EVT. During follow-up, the patient developed a refractory anastomotic stricture unresponsive to repeated balloon dilations, which was effectively resolved by the placement of a lumen-apposing metal stent (LAMS), resulting in rapid reintroduction of oral intake and significant improvement in the quality of life. Conclusion: This case illustrates the successful use of modern endoscopic techniques, specifically EVT and LAMS stenting, in managing severe complications after esophagectomy. Close multidisciplinary collaboration was crucial. The endoscopic approach allowed for complete healing of the defect without the need for surgical reintervention providing an effective solution for the refractory stricture, with minimal burden on the patient.

Key words: endoscopic vacuum therapy – lumen-apposing metal stent – refractory stricture – esophagectomy – anastomotic leak – minimally invasive endoscopy – esophageal cancer

Clinical utility of EUS-guided sampling of solid pancreatic lesions: diagnostic spectrum, treatment strategies, and prognostic insights from a single center

Klinická užito nos EUS-navigovanej punkcie solídnych pankreatických lézií z jedného centra: diagnostické spektrum, lie ebné režimy a prognostické súvislosti

T. Koller , P. Vrbová , G. Holst , D. Dudová , I. Me iarová , V. Gál , M. Tomáš , J. Dolník

Gastroenterology and Hepatology Division of the th Department of Internal Medicine, Faculty of Medicine, Comenius University

Bratislava University Hospital Bratislava

Unilabs Slovensko, s.r.o., Bratislava

Clinic of Surgical Oncology, Slovak Medical University, National Cancer Institute, Bratislava

Summary: Background: Solid pancreatic lesions (SPLs) pose significant diagnostic and therapeutic challenges due to their high malignant potential and limited treatment options. Endoscopic ultrasound (EUS)-guided tissue sampling has become a cornerstone in their evaluation, offeringminimallyinvasiveaccessforhistologicalconfirmation.ThisstudyaimedtoassesstheclinicalutilityofEUS-guidedbiopsyforSPLsina single center. Methods: We retrospectively analyzed patients who underwent EUS-guided tissue sampling for SPLs at the University Hospital Bratislava between 2018 and 2023. Exclusion criteria included cystic lesions or negative EUS findings. Data on demographics, lesion characteristics, sampling techniques, pathology, treatment modalities, and survival outcomes were collected. Diagnostic categories were stratified, and survival analyses were performed using Kaplan-Meier curves and Cox regression modeling. Results: Out of 747 EUS procedures, 159 met the inclusion criteria. The median patient age was 67 years; 62.3% were male. The most frequent diagnosis was pancreatic adenocarcinoma (61.6%), followed by unspecified malignant lesions (10.1%), benign lesions (8.2%), and neuroendocrine tumors (7.5%). Malignant or potentially malignant lesions accounted for 83.9% of cases. EUS-guided biopsy was diagnostic in 90.6% of cases with no major complications recorded. Treatment (surgery, chemotherapy, or both) was administered to 48.4% of the patients. Surgical intervention and chemotherapy were both associated with significantly improved survival, with the best outcomes observed in patients receiving combined therapy. Surgery was the only independent predictor of reduced mortality (HR = 0.376; P = 0.002).

Conclusion: EUS-guided sampling is a safe and effective tool for diagnosing SPLs,

Gastrointestinální onkologie: p ehledový lánek

doi: . /ccgh

Stereotaktická radioterapie v lé b hepatocelulárního karcinomu

Stereotactic body radiotherapy in the treatment of hepatocellular carcinoma

P. H íbek , F. T ebický , P. Urbánek

Interní klinika . LF UK a ÚVN – VFN Praha Ústav radia ní terapie, ÚVN – VFN Praha

Souhrn: Hepatocelulární karcinom (HCC) je jednou z nejzávažnějších komplikací jaterní cirhózy. Přestože včasné stanovení diagnózy umožňuje použití kurativních přístupů, mnoho pacientů není kandidáty chirurgické léčby. V takových případech nabývají na významu alternativní metody lokoregionální terapie. Stereotaktická radioterapie (SBRT) je specifická forma externí radioterapie, která umožňuje vysoce přesné ozáření cílového ložiska s minimálním zásahem do okolní tkáně a vykazuje vysokou míru lokální kontroly onemocnění. Aktuální doporučené postupy EASL z roku 2025 již SBRT zařazují mezi uznávané terapeutické možnosti pro vybrané skupiny pacientů, zejména tam, kde nelze použít ablační techniky ani TACE. Klinické zkušenosti z našeho pracoviště potvrzují dobrou snášenlivost SBRT a její vhodnost v rámci konsolidační léčby. Přestože zůstává vysoce selektivní metodou s omezenou dostupností, představuje SBRT cenný doplněk stávajících terapeutických modalit a její význam v léčbě HCC bude pravděpodobně narůstat.

Klí ová slova: hepatocelulární karcinom – jaterní cirhóza – radiochirurgie – stereotaktická radioterapie

Summary: Hepatocellular carcinoma (HCC) is one of the most serious complications of liver cirrhosis. Although early diagnosis allows for the use of curative approaches, many patients are not candidates for surgical treatment. In such cases, alternative methods of locoregional therapy gain importance. Stereotactic body radiotherapy (SBRT) is a specific form of external beam radiotherapy that enables highly precise irradiation of the target lesion with minimal impact on the surrounding tissue, achieving high rates of local disease control. Current EASL guidelines (2025) already include SBRT among recognized therapeutic options for selected patient groups, particularly when ablative techniques or TACE are not feasible. Clinical experience from our institution confirms good tolerability of SBRT and its suitability as a form of consolidative therapy. Although it remains a highly selective method with limited availability, SBRT represents a valuable complement to existing therapeutic modalities, and its role in HCC management is likely to grow in the future.

Key words: hepatocellular carcinoma – liver cirrhosis – radiosurgery – stereotactic body radiotherapy

Úvod

Hepatocelulární karcinom (HCC) představuje jednu z nejčastějších fatálních komplikací chronických jaterních onemocnění, nejčastěji ve stadiu pokročilé jaterní fibrózy až cirhózy. Dlouhodobě se HCC v celosvětovém měřítku pohybuje na předních příčkách v příčinách úmrtí na nádorové onemocnění.

V České republice byla v roce 2021 incidence HCC 9,41 nových případů na 100 tisíc obyvatel [1]. Staging onemocnění se řídí u nemocných s jaterní cirhózou tzv. Barcelona Clinic Liver Can-

Gastroent Hepatol 2025; 79(5): 356–360

cer klasifikací (BCLC), která rozlišuje stadia [2]:

• velmi časné a časné;

• středně pokročilé;

• pokročilé;

• terminální.

Klasifikace BCLC je specifická tím, že v sobě zahrnuje i zhodnocení funkční zdatnosti jater, která může nezřídka limitovat přežití pacienta více než samotné nádorové onemocnění. HCC je malignita s vysoce nepříznivou prognózou. V případě nemocných s jaterní cirhózou

a HCC je medián celkového přežití (OS) u neléčených pacientů u časného stadia 13,4 měsíce, zatímco ve stadiu terminálním 1,6 měsíce [3]. Jedině včasné stanovení diagnózy může zajistit nemocnému naději na terapii potenciálně kurativními metodami. V takovém případě pak bývá prognóza velmi dobrá. Pacienti, u nichž jsou splněna standardní kritéria pro transplantační léčbu, mají 10leté celkové přežití 64–70 % [4]. Nespornou výhodou transplantační léčby je současné řešení častého základního onemocnění – jaterní cirhózy. V případě,

Hodnocení programu screeningu kolorektálního karcinomu v eské republice

Evaluation of the colorectal cancer screening program in the Czech Republic

M. Ambrožová , , P. Dvo ák , R. Chloupková , , O. Ngo , , V. Rybenská , K. Hejduk , , L. Dušek , , O. Májek , Národní screeningové centrum, Ústav zdravotnických informací a statistiky eské republiky, Brno Institut biostatistiky a analýz, Léka ská fakulta MU, Brno

Souhrn: Úvod: Screening kolorektálního karcinomu (KRK) je klíčovým nástrojem sekundární prevence, jehož efektivita závisí na účasti populace, dostupnosti péče a kvalitě prováděných vyšetření. Jeho účinnost je podmíněna také systematickým sběrem a analýzou dat. Kvalitní data jsou klíčovým pilířem pro monitoring probíhajícího screeningu, jeho evaluaci a identifikaci slabých míst programu. Cílem je ukázat přínos dat pro optimalizaci programu v ČR na příkladu dvou případových studií. Metody: Byly využity datové zdroje Národního zdravotnického informačního systému a Databáze preventivních koloskopií spravované Ústavem zdravotnických informací a statistiky ČR, doplněné o sociodemografická data z Českého statistického úřadu. Hodnocení proběhlo pomocí indikátorů kvality screeningu a budget impact analýzy zaměřené na změnu věkových hranic screeningu. Výsledky: První případová studie ukazuje pokles incidence KRK o 33 % a mortality o 49 % od zavedení programu. Pokrytí cílové populace se dlouhodobě pohybuje okolo 30 %. V roce 2020 došlo k nárůstu pozitivity testu na okultní krvácení do stolice (TOKS) na 10 %. Interval mezi pozitivním TOKS a navazující koloskopií odpovídá 3 měsícům. Míra účasti na navazující koloskopii po pozitivním TOKS činí 60 %. Druhá

Program kolorektálního screeningu

v

eské

republice

(datová

základna screeningu a jeho hodnocení)

Analytický monitoring programu: vybrané oblasti pro potenciální zlepšení

• nedostatečné pokrytí cílové populace: 31 %

• změny pozitivity scr. TOKS: 9–10 %

• nízká míra účasti na navazující koloskopii po pozitivním screeningu TOKS: 60 %

• dlouhé intervaly mezi pozitivním screeningem TOKS a navazující koloskopií: v průměru 3 měsíce

KRK – kolorektální karcinom; TOKS – test na okultní

do stolice; NZIS – Národní zdravotnický informační systém.

Vývoj popula ní zát že kolorektálním karcinomem

• snížení incidence

KRK: –33 %

• snížení mortality

KRK: –49 %

Zm na zdravotní politiky a další opat ení

• změna věkového intervalu screeningu na 45–74 let od roku 2026

• zavedení externího hodnocení kvality TOKS

• vytvoření registru v rámci NZIS

• zavedení EZ karty, příprava sběru a sdílení dat

doi: . /ccgh

Zpráva o pr b hu dota ní výzvy na podporu pracoviš pro screeningovou koloskopii

v rámci Národního plánu obnovy

Report on the progress of the call for proposals to support screening colonoscopy centers under the National Recovery Plan

V. Rybenská , K. Hejduk , , O. Májek , , Š. Suchánek

Národní screeningové centrum, Ústav zdravotnických informací a statistiky eské republiky, Brno

Institut biostatistiky a analýz, Léka ská fakulta MU, Brno

Odd lení gastrointestinální endoskopie, Interní klinika . LF UK a ÚVN – VFN Praha

Ministerstvo zdravotnictví (MZd) ve spolupráci s příslušnými řídicími komisemi průběžně hledá a realizuje různé kroky ke zvyšování kvality a efektivity screeningových programů v ČR. V rámci podpory kolorektálního screeningu vyvstal podnět k otevření dotační výzvy pro zlepšení přístrojového vybavení stávající sítě gastroenterologických pracovišť zapojených do screeningového programu. Základní záměr MZd projednal Výbor Společnosti pro gastrointestinální onkologii ČLS JEP (SGO), který navrhl základní parametry výzvy, na jejichž základě MZd ve spolupráci s Ústavem zdravotnických informací a statistiky ČR (ÚZIS ČR) stanovilo konkrétní parametry pro oprávněné žadatele a indikátory výzvy. Výsledná podoba odborných parametrů byla prodiskutována Komisí pro program screeningu kolorektálního karcinomu v září 2023. Po nutných administrativních krocích byla ze strany MZd dne 15. ledna 2024 vyhlášena 11. výzva k předkládání žádostí o podporu v rámci Národního plánu obnovy s názvem„Podpora a zvyšování kvality preventivních screeningových programů II – kolorektální karcinom“ s termínem pro podání žádostí do 15. ledna 2025. Výzva byla vyhlášena jako průběžná, žádosti tedy byly hodnoceny průběžně, přičemž byly hodnoceny

formální podmínky přijatelnosti dané výzvou.

Výzva si kladla za cíl zlepšení technologického vybavení poskytovatelů zapojených do programu screeningu kolorektálního karcinomu, zvýšení pokrytí cílové populace v rámci tohoto screeningového programu, zajištění adekvátních čekacích dob na koloskopie po pozitivním výsledku vyšetření testu na okultní krvácení do stolice a navýšení podílu preventivních koloskopií ze všech provedených vyšetření pracoviště. Podporované činnosti tedy byly zaměřeny na pořízení a modernizaci vybavení, zdravotnických prostředků, technologií a dalšího vybavení zdravotnických pracovišť s cílem zvýšit kvalitu a dostupnost screeningového programu. Konkrétně bylo podporováno pořízení a modernizace koloskopu s vysokým rozlišením, endoskopické věže, odsávacího zařízení a elektrochirurgické jednotky.

Cílovou skupinou pro podávání žádostí byli stanoveni poskytovatelé zdravotních služeb v rámci stávající sítě screeningových pracovišť, kteří vykázali alespoň 200 provedených preventivních koloskopií za rok 2022 dle Národního registru hrazených zdravotních služeb (NRHZS) v rámci specifikovaného screeningového pracoviště. Ze strany Národ-

ního screeningového centra ÚZIS ČR tak prostřednictvím datové schránky obdrželi report s počtem vykázaných preventivních koloskopií, průměrnou čekací dobou na TOKS+ koloskopii a podílem preventivních koloskopií (uvedená data byla za rok 2022), aby mohla být data použita v přípravě žádosti.

Celková alokace výzvy činila 150 mil.Kč (následně byla alokace rozšířena na 158,5 mil. Kč) a jednotlivá pracoviště mohla získat podporu až 2 mil.Kč.

Současně byly stanoveny dva monitorovací indikátory, které by měl žadatel naplňovat po dobu 3 let od ukončení projektu, tedy v rámci definované doby udržitelnosti, přičemž projekty samotné (pořízení technického vybavení) musí být ukončeny nejpozději k 31. prosinci 2025. Čekací doba na navazující koloskopická vyšetření po pozitivním výsledku testu na okultní krvácení do stolice by měla dosahovat hodnot < 42 dnů. Podíl preventivních koloskopií ze všech provedených koloskopií by měl dosahovat hodnoty alespoň 33 % nebo by výchozí hodnota měla být navýšena o 5 procentních bodů oproti referenčnímu roku 2022 z NRHZS. Jedná se o monitorovací indikátory, které by měly být dosaženy, resp. by příjemce dotace měl činit takové kroky, aby tyto indikátory napl-

Skríning kolorektálneho karcinómu na Slovensku

Colorectal cancer screening in Slovakia

A. Orságh , , R. Novota , A. Štrbavý , J. Trautenberger Ricová

Gastroenterologické oddelenie, Národný onkologický ústav, Bratislava

Národný onkologický inštitút, Bratislava

Súhrn: Kolorektálny karcinóm (KRCA) je celosvetovo jedným z najčastejších onkologických ochorení. Slovenská republika patrí medzi krajiny s vysokou incidenciou tohto ochorenia. Organizovaný skríning znižuje incidenciu a mortalitu na kolorektálny karcinóm. V posledných rokoch pozorujeme na Slovensku pokles vekovo štandardizovanej incidencie a mortality na toto ochorenie. Skríning rakoviny hrubého čreva a konečníka na Slovensku začal v roku 2004. Od roku 2021 bolo zavedené aktívne pozývanie časti cieľovej populácie, ktorá počas posledných dvoch rokov skríning nepodstúpila. Cieľovou populáciou pre skríning KRCA na Slovensku sú osoby vo veku 50–75 rokov s bežným rizikom ochorenia. Skríning sa vykonáva imunochemickým testom na skryté krvácanie do stolice v dvojročnom intervale v ambulancii praktického lekára alebo primárnou skríningovou kolonoskopiou raz za 10 rokov. Od zavedenia aktívneho pozývania pozorujeme nárast počtu vykonaných testov na skryté krvácanie a nárast počtu skríningových i diagnostických kolonoskopií v cieľovej populácii. Najzávažnejším problémom v programe skríningu KRCA na Slovensku je nedostatok relevantných dát na hodnotenie jeho efektivity a zabezpečenie hodnotenia kvality.

K ú ové slová: kolorektálny karcinóm – skríning rakoviny – test na skryté krvácanie do stolice – kolonoskopia

Summary: Colorectal cancer (CRC) is one of the most common oncological diseases worldwide. The Slovak Republic ranks among the countries with high incidence of this malignancy. Organized screening reduces both the incidence and mortality of colorectal cancer. In recent years, a decline in age-standardized incidence and mortality rates has been observed in Slovakia. Colorectal cancer screening in Slovakia began in 2004. Since 2021, an active invitation system has been introduced, targeting individuals from the eligible population who have not participated in screening within the past two years. The target population for CRC screening in Slovakia includes individuals aged 50 to 75 years who are at average risk for the disease. Screening is performed either by a biennial immunochemical fecal occult blood test (FIT) in the general practitioner’s office or by a primary screening colonoscopy once every 10 years. Since the implementation of the active invitation system, there has been an increase in the number of FITs performed, as well as in the number of both screening and diagnostic colonoscopies in the target population. The most significant challenge of the CRC screening program in Slovakia is the lack of relevant data to assess its effectiveness and quality assurance. Key words: colorectal cancer – cancer screening – fecal occult blood test – colonoscopy

Skríning kolorektálneho karcinómu na Slovensku

Cieľová populácia: muži a ženy vo veku 50–75 rokov

TOKS (interval 2 roky)

V rámci preventívnej prehliadky u VLD

Zaslaný zdravotnou poisťovňou

Počet TOKS: 407 726

Účasť na skríningu podľa TOKS: 48 %

Pozitivita TOKS: 8,12 %

TOKS pozit. skríningová kolonoskopia

Primárna skríningová kolonoskopia (interval 10 rokov)

Všetky kolonoskopie: 52 825

Primárne a skríningové kolonoskopie: 14 613

Totálnekolonoskopie:

CDR: 1,6%

IBD: p ehledový lánek

doi: . /ccgh

Guselkumab v terapii idiopatických st evních zán t

Guselkumab in the treatment of inflammatory bowel diseases

M. Lukáš

Klinické a výzkumné centrum pro st evní zán ty, Klinické centrum ISCARE a.s. a . LF UK v Praze

Souhrn: Guselkumab je humánní monoklonální protilátka IgG1 s duálním protizánětlivým mechanizmem účinku spočívajícím ve vazbě na IL-23p19 podjednotku a v inhibici produkce IL-23 v myeloidních buňkách vazbou na CD64 receptor. Pozitivní výsledky v registračních studií QUASAR a GALAXI vedly k povolení guselkumabu do klinické praxe u nemocných se středně těžkou až těžkou formou ulcerózní kolitidy a Crohnovou nemocí. V těchto studiích byla také potvrzena vysoká bezpečnost léčby. Stejné dávkování u obou chorob a možnost subkutánní indukce významně odlišují guselkumab od ostatních monoklonálních protilátek této lékové skupiny.

Klí ová slova: guselkumab – anti-IL-23 terapie – idiopatické střevní záněty – ulcerózní kolitida – Crohnova nemoc

Summary: Guselkumab is a human monoclonal antibody IgG1 targeted to the IL-23p19 subunit engaging receptor CD64, inducing neutralization of IL-23, and capturing of IL-23 in the myeloid cells. Positive results from registration studies QUASAR and GALAXI allowed an approval of guselkumab for clinical practice in patients with moderately to severely active ulcerative colitis and Crohn’s disease. In these studies, a high safety drug profile was also confirmed. The same dosage for both diseases and subcutaneous induction significantly differentiate guselkumab from other anti-IL-23p19 inhibitors.

Key words: guselkumab – anti-IL-23 therapy – inflammatory bowel disease – ulcerative colitis – Crohn’s disease

Úvod

Medikamentózní léčba u idiopatických střevních zánětů (IBD), ulcerózní kolitidy (UC) a Crohnovy nemoci (CN) prodělala v posledních 20 letech dramatický a netušený vývoj, a to především v oblasti pokročilé centrové léčby. Vedle monoklonálních protilátek byla do terapie zavedena také nová perorální léčiva: JAK inhibitory (filgotinib, tofacitinib, upadacitinib) a blokátory S1P receptoru (ozanimod, etrasimod). Vedle klinickou praxí osvědčených monoklonálních protilátek ze skupiny anti-TNFα (infliximab, golimumab, adalimumab) se ve druhé dekádě tohoto století objevily další dvě skupiny léčiv, antiintegriny (vedolizumab) a anticytokiny (ustekinumab), které se používají u obou nemocí. I když se pokročilá (AT – advanced therapy) léčba IBD významně rozšířila, přesto její efektivita není ideální, protože 30 % nemocných

Gastroent Hepatol 2025; 79(5): 384–389

na ni neodpovídá vůbec a 30 % nemocných ztrácí klinickou odpověď v průběhu léčby. Hledání nových možností terapie s vyšší účinností, setrvalým efektem, vysokou bezpečností a modifikující přirozený klinický průběh IBD je stálou nutností i ve třetím decenniu tohoto století.

Teoretické poznámky

Přesně před čtvrtstoletím byl objeven nový cytokin označený jako interleukin-23 (IL-23), který se později ukázal být klíčovým v patogenezi IBD. Je logické, že právě struktura IL-23 dobře zapadá do konceptu cílené terapie u imunitně zprostředkovaných zánětlivých onemocnění. IL-23 představuje dominantní regulační cytokin schopný přeprogramovat imunitní buňky k vyvolání a udržení vysoce prozánětlivého stavu. Působí jako „hlavní spínač“ při vývoji a přetrvá-

vání některých imunitně zprostředkovaných nemocí, především psoriatické nemoci (psoriázy a psoriatické artritidy) a IBD (Crohnovy nemoci a ulcerózní kolitidy). Tento cytokin patří do rodiny interleukinu-12, skládá se ze dvou podjednotek IL-23p19 a IL-23p40. Myeloidní buňky, mezi které počítáme monocyty, makrofágy, dendritické buňky a kožní Langerhansovy buňky, jsou nejdůležitějšími přirozenými zdroji IL-23, které jej vytváří po aktivaci TLR (tool-like receptor) antigeny. Biologický účinek IL-23 je zajištěn vazbou na heterodimerický povrchový buněčný receptor IL-23R a IL-12Rb1. Podjednotka IL-23p19 se váže na část IL-23R, kdežto podjednotka IL-23p40 na část IL-12Rb1. Po vazbě na receptor dochází k aktivizaci signálních molekul intracelulárně především systému JAK a STAT 3/4 s následnou tvorbou prozánětlivých cytokinů („down-

doi: . /ccgh

Disease clearance – nový horizont v ulceróznej kolitíde

Disease clearance – a new horizon in ulcerative colitis

I. Šturdík, A. Gojdi ová, S. Majna, J. Skubáková, Z. Vrablicová, J. Tóth, T. Hlavatý

Gastroenterologické centrum Bezru ova, Poliklinika Bezru ova, Bratislava

Súhrn: Terapeutické ciele pri ulceróznej kolitíde prešli evolúciou od symptomatickej kontroly k stratégii liečby zameranej na cieľ, kde sa endoskopická remisia stala kľúčovým cieľom. Avšak, pretrvávajúca histologická aktivita u pacientov v endoskopickej remisii predstavuje riziko relapsu, čo viedlo k návrhu nového, ambicióznejšieho cieľa – „disease clearance“. Tento koncept predstavuje kompozitný cieľ zahŕňajúci simultánne dosiahnutie klinickej, endoskopickej a histologickej remisie. Narastajúce dôkazy potvrdzujú, že dosiahnutie „disease clearance“ je spojené s výrazne lepšími dlhodobými výsledkami, vrátane nižšieho rizika hospitalizácií a chirurgických zákrokov. Prelomové výsledky štúdie VERDICT naviac ukázali, že pri stratégii liečby zameranej na cieľ s vedolizumabom je tento prísny cieľ reálne dosiahnuteľný až u 67,2 % pacientov po 48 týždňoch, najmä ak je liečba nasadená včas. „Disease clearance“ tak predstavuje nový horizont v manažmente ulceróznej kolitídy s potenciálom zmeniť prirodzený priebeh ochorenia, a hoci jeho implementácia prináša výzvy, posúva paradigmu liečby k úplnému potlačeniu zápalovej aktivity a personalizovanej medicíne.

K ú ové slová: ulcerózna kolitída – disease clearance – liečba zameraná na cieľ – vedolizumab – histologická remisia

Summary: Therapeutic targets in ulcerative colitis have evolved from symptomatic control to a treat-to-target strategy, where endoscopic remission has become a key objective. However, persistent histological activity in patients in endoscopic remission poses a risk of relapse, which has led to the proposal of a new, more ambitious goal – “disease clearance.” This concept represents a composite endpoint comprising of simultaneous achievement of clinical, endoscopic, and histological remission. Growing evidence confirms that achieving “disease clearance” is associated with significantly better long-term outcomes, including a lower risk of hospitalizations and surgery. Furthermore, landmark results from the VERDICT trial have shown that with a treat-to-target strategy using vedolizumab, this stringent target is achievable in up to 67.2% of patients at 48 weeks, particularly when treatment is initiated early. Thus, “disease clearance” represents a new horizon in the management of ulcerative colitis with the potential to alter the natural course of the disease. Although its implementation poses challenges, it shifts the treatment paradigm towards the complete suppression of inflammatory activity and personalized medicine.

Key words: ulcerative colitis – disease clearance – treat-to-target – vedolizumab – histological remission

Úvod

Ulcerózna kolitída (UC) je chronické, relapsujúce a progredujúce zápalové ochorenie čreva, ktorého manažment prešiel v posledných dekádach zásadným vývojom. Historicky bola terapia zameraná primárne na úľavu od symptómov, ako sú hnačka a rektálne krvácanie, avšak s príchodom biologickej liečby a hlbším pochopením patofyziológie ochorenia sa paradigma liečby posunula od symptomatickej kontroly k stratégii nazvanej liečba zameraná na cieľ (treat-to-target) (T2T). T2T si kladie za cieľ do-

Gastroent Hepatol 2025; 79(5): 390–395 IBD:

siahnuť objektívne a merateľné ukazovatele potlačenia zápalu.Tento prístup je založený na predpoklade, že potlačenie aktívneho zápalu, nielen jeho klinických prejavov, môže zmeniť prirodzený priebeh ochorenia a zabrániť dlhodobým komplikáciám a štrukturálnemu poškodeniu čreva [1]. Kľúčovým míľnikom v tejto evolúcii bolo stanovenie endoskopického zhojenia sliznice ako hlavného dlhodobého terapeutického cieľa v rámci medzinárodného konsenzu STRIDE-II (Selecting Therapeutic Targets in Inflammatory Bowel Disease) [2]. En-

doskopická remisia, najčastejšie definovaná ako Mayo Endoscopic Score (MES) 0 alebo 1, sa stala zlatým štandardom, pretože jej dosiahnutie je robustne spojené s priaznivými dlhodobými výsledkami, vrátane nižšieho rizika klinických relapsov, hospitalizácií, potreby kolektómie a zníženého užívania kortikosteroidov. Tento posun od subjektívnych symptómov k objektívnemu endoskopickému nálezu predstavoval zásadný pokrok v manažmente UC. Napriek nesporným prínosom endoskopickej remisie sa ukázalo, že ani dosiahnutie mak-

doi: . /ccgh

Novinky v lé b primární biliární cholangitidy

New developments in the treatment of primary biliary cholangitis

L. Husová

Centrum kardiovaskulární a transplanta ní chirurgie, Brno

Souhrn: Primární biliární cholangitida je chronické, imunologicky podmíněné, postupně progredující jaterní onemocnění charakterizované destrukcí malých žlučovodů, jejímž důsledkem je cholestáza, jaterní fibróza s rozvojem jaterní cirhózy se všemi komplikacemi. Ty pak v konečné fázi vedou k selhání jater s následkem smrti nebo potřeby transplantace jater. Včasná a účinná terapie je klíčovým faktorem ovlivnění prognózy. Onemocnění postihuje převážně ženy, a to v 90 %. Diagnóza je možná na základě elevace sérové alkalické fosfatázy (ALP) nad 1,5násobek normy po dobu 6 měsíců a v kombinaci s přítomností antimitochondriálních protilátek (AMA) ≥ 1 : 40, nebo specifických antinukleárních protilátek (ANA) sp100, gp210, nebo kombinace zvýšené sérové ALP s typickým histologickým nálezem v jaterní biopsii. Přestože kyselina ursodeoxycholová (UDCA) zůstává léčbou první volby, někteří pacienti tuto léčbu netolerují nebo odpověď na tuto léčbu není dostatečná. V současné době je již dostupná léčba 2. linie – agonisté receptorů aktivovaných proliferátory peroxisomů (PPAR), delta (PPAR- ) či duální agnonisté (PPAR- / ). Seladelpar (PPAR- ) a elafibranor (PPAR- / ) jsou slibnou alternativou léčby pro své protizánětlivé a antifibrotické vlastnosti.

Klí ová slova: primární biliární cholangitida – alkalická fosfatáza – AMA protilátky – ANA protilátky – kyselina ursodeoxycholová – elafibranor –seladelpar

Summary: Primary biliary cholangitis is a chronic, immunologically mediated, progressive liver disease characterized by progressive destruction of small bile ducts, resulting in cholestasis, liver fibrosis with the development of liver cirrhosis and all of its complications. These ultimately lead to liver failure, resulting in death or the need for a liver transplant. Early and effective treatment is a key factor in influencing the prognosis. The disease mainly affects women, accounting for 90% of cases. Diagnosis is possible based on an elevation of serum alkaline phosphatase (ALP) above 1.5-times the normal level for 6 months and in combination with the presence of antimitochondrial antibodies (AMA) ≥ 1 : 40 or specific antinuclear antibodies (ANA) sp100, gp210, or a combination of elevated serum ALP with typical histological findings found during liver biopsy. Although ursodeoxycholic acid (UDCA) remains the treatment of choice, unfortunately some patients do not tolerate this treatment or do not respond adequately to it. Second-line treatment is currently available – peroxisome proliferator-activated receptor (PPAR) agonists, delta (PPAR- ) or dual agonists (PPAR- / ). Seladelpar (PPAR- ) and elafibranor (PPAR- / ) are promising treatment alternatives due to their anti-inflammatory and antifibrotic properties.

Key words: primary biliary cholangitis – alkaline phosphatase – AMA antibodies – ANA antibodies – ursodeoxycholic acid – elafibranor – seladelpar

Úvod

Primární biliární cholangitida (PBC) je chronické, imunologicky podmíněné, progredující jaterní onemocnění charakterizované progresivní destrukcí malých nitrojaterních žlučovodů, jejímž důsledkem je cholestáza, progresivní jaterní fibróza, která vede v konečné fázi až k selhání jater s následkem smrti nebo potřeby transplantace jater [1,2]. Choroba byla poprvé popsána Addisonem

Gastroent Hepatol 2025; 79(5): 396–401 Hepatologie:

a Gullem v roce 1851 [3]. Později byla přejmenována na „xantomatózní biliární cirhózu“ podle charakteristických xantomů na kůži a přítomnosti biliární cirózy [4]. Pojmenování primární biliární cirhóza bylo používáno od roku 1950 a vyjadřovalo přítomnost klinických projevů této choroby, neboť choroba byla diagnostikována ve stadiu rozvinuté jaterní cirhózy [5]. U některých pacientů nebyla v době diagnózy přítomna rozvinutá ja-

terní cirhóza [1], a tak bylo jasné, že název není zcela správný. To vedlo v roce 2014 ke změně pojmenování s cílem odstranit stigma cirhózy, špatné prognózy a spojení s etiologií cirhózy s alkoholem. Změna pojmenování na primární biliární cholangitidu byla schválena Evropskou asociací pro studium jater (EASL) v roce 2014 a Americkou asociací pro studium jater (AASLD) v roce 2015 [6,7]. V současnosti nemáme data pro incidenci a pre-

Výb ry z mezinárodních asopis

The selection from international journals

Impact of complete vs. partial endoscopic healing on long-term outcomes in Crohn’s disease: a prospective multicenter study

Yzet C, Brazier F, Derval E et al. J Crohn Colitis 2025; 19(7): jjaf104. doi: 10.1093/ecco-jcc/jjaf104.

Abstrakta lánk ke stažení zde: You can download the abstracts here: http:

Vliv úplného oproti áste nému endoskopickému hojení na dlouhodobé výsledky u Crohnovy choroby: prospektivní multicentrická studie Úvod: Doporučení STRIDE II uznávají endoskopické hojení (EH), definované skóre SES-CD ≤ 2, jako jeden z hlavních terapeutických cílů u Crohnovy choroby (CD). Úplné EH by mohlo snížit riziko dlouhodobých komplikací u CD. Cílem této studie bylo posoudit riziko dlouhodobých komplikací u CD v závislosti na stupni dosaženého EH. Metody: Byla provedena prospektivní multicentrická studie, která zahrnovala všechny pacienty s hodnocením EH (2019–2022) ve třech centrech, a následně byly porovnány výsledky pacientůs úplnýmEH(CDEIS = 0)s pacientys částečnýmEH(CDEIS > 0,ale < 4).Primárnímvýstupnímukazatelembyloterapeutické selhání (potřeba intenzifikace léčby, a/nebo zahájení kortikosteroidů, a/nebo hospitalizace související s CD, a/nebo resekce střeva, a/nebo vznik striktury/fistuly, a/nebo rozvoj perianální CD). Výsledky: Do studie bylo zahrnuto celkem 128 pacientů. Léčba trvala před provedením kontrolní koloskopie průměrně 12 měsíců, přičemž rozmezí se pohybovalo mezi 8,3 a 24,3 měsíci. Po průměrném sledování 22 měsíců (s rozmezím mezi 19 a 23 měsíci) zaznamenalo terapeutické selhání 40 pacientů, což představuje 31 % z celkového počtu. Riziko tohoto selhání bylo výrazně vyšší u pacientů s částečným endoskopickým hojením (25 vs. 43 %; p = 0,036). Stejně tak bylo u této skupiny vyšší riziko hospitalizace spojené s Crohnovou chorobou (2,5 vs. 17 %; p = 0,005), s hazardním poměrem 6,89 a 95% intervalem spolehlivosti (1,46–32,4), přičemž p = 0,015. Riziko resekce střeva, zahájení terapie kortikosteroidy a intenzifikace léčby se u pacientů s úplným a částečným hojením lišilo takto: 0 vs. 4,3 % (p = 0,13); 2,5 vs. 11 % (p = 0,1) a 22 vs. 36 % (p = 0,088). Závěr: Ačkoli jsou k potvrzení těchto výsledků nezbytné další studie s větším počtem účastníků, současná data naznačují, že úplné endoskopické hojení by mohlo přinášet lepší dlouhodobé výsledky u pacientů s Crohnovou chorobou ve srovnání s částečným hojením. Tyto nálezy podporují potřebu hlubšího výzkumu v této oblasti.

Parecoxib sequential with imrecoxib for occurrence and remission of severe acute pancreatitis: a multicentre,double-blind, randomised, placebo-controlled trial

Huang L, Feng Z, Yang W et al. Gut 2025; 74(9): 1467–1475. doi: 10.1136/gutjnl-2024-334038.

Sekven ní podávání parekoxibu s imrekoxibem p i výskytu a remisi t žké akutní pankreatitidy: multicentrická, dvojit zaslepená, randomizovaná, placebem kontrolovaná studie

Těžká akutní pankreatitida (SAP) je definována jako perzistující orgánové selhání (trvající déle než 48 hod) nebo infekce pankreatu, s mortalitou20–40 %.I přessvůjčastývýskyta významnéléčebnénákladyneexistujeúčinnáfarmakologickáléčbaSAPs orgánovým selháním (OF). Jako jedna z možností se jeví suprese systémové zánětlivé odpovědi pomocí inhibitorů cyklooxygenázy-2 (COX-2-Is).Tato studie si dává za cíl vyhodnotit účinnost a bezpečnost COX-2-Is při léčbě SAP. Do této multicentrické, dvojitě zaslepené, randomizované, placebem kontrolované, výzkumníky iniciované studii bylo zařazeno 348 pacientů s akutní pankreatitidou ve věku 18–75 let, přijatých do nemocnice do 1 týdne od začátku onemocnění a se skóre Acute Physiology and Chronic Health Evaluation II ≥ 7 nebo modifikovaným Marshallovým skóre ≥ 2. Pacienti byli v poměru 1 : 1 rozděleni do skupiny s COX-2 inhibitory (sekvenční podání parekoxibu a imrekoxibu), nebo do skupiny s placebem. Mezi hlavní cíle si studie klade porovnat výskyt SAP, délku trvání OF, výskyt lokálních komplikací, klinické výsledky a sérové zánětlivé markery. Ve srovnání s placebem byl výskyt SAP snížen o 20,7 % (77,6 vs. 61,5 %; p = 0,001) a délka přetrvávajícího OF zkrácena o 2 dny (p < 0,001) po léčbě COX-2 inhibitory. U pacientů zařazených do 48 hod od začátku příznaků se výskyt SAP snížil o 23,8 % (p = 0,001) a délka OF o 3 dny (p = 0,001). U pacientů zařazených později byl pokles 8,5 % (p = 0,202) a délka OF se zkrátila o 2 dny (p = 0,010). Výskyt lokálních komplikací byl ve skupině s COX-2 inhibitory významně nižší než u placeba (33,7 vs. 49,1 %; p = 0,004). Po léčbě byly významně sníženy hladiny zánětlivých markerů i 30denní mortalita (z 8,6 na 3,4 %; p < 0,05). Výskyt nežádoucích účinků byl v obou skupinách podobný (1,2 vs. 0,6 %). Závěrem můžeme říci, že sekvenční podávání parekoxibu a imrekoxibu bylo účinné a dobře tolerované při snižování výskytu a délky trvání SAP i lokálních komplikací prostřednictvím potlačení systémové zánětlivé odpovědi, což vedlo ke snížení morbidity.

Správná odpov na p edchozí kvíz

M. Lukáš

Klinické a výzkumné centrum pro st evní zán ty, Klinické centrum ISCARE a.s. a . LF UK v Praze

U pacientky se jednalo o sinus a presakrální absces jako dlouhodobý následek parciální dehiscence ileopouch-anální anastomózy, ke které došlo v časném pooperačním období. Komplikace (absces) byla bezprostředně po operaci řešena perkutánní drenáží pod CT kontrolou s následným zlepšením stavu pacientky, nicméně nezabránila vzniku chronického sinusu. Průběh sinusu směřoval od dorzálního okraje IPAA a k sakrální kosti, kde komunikoval s chronickým presakrálním abscesem velikosti cca 50 × 60 mm. Chronická pánevní sepse byla u pacientky odpovědná za vleklou klinickou symptomatologii v podobě nechutenství, intermitentních febrilních stavů, nočního pocení, časných urgencí k vyprázdnění pouche a významného hmotnostního úbytku. Řešení sinusu a presakrálního abscesu, které měly významný negativní dopad na kvalitu života pacientky a zhoršovaly funkčnost rekonstrukční střevní operce,

je vždy komplikované a dlouhodobé. V úvahu připadají chirurgická nebo endoskopická řešení. Z chirurgických přístupů je to zavedení „endosponge“ do místa vnitřního ústí sinusu. Jiným řešením může být exstirpace pouche a s časovým odstupem vytvoření nové IPAA anastomózy (re-do pouch) nebo jen provedení diskonekce trávicí trubice se založením terminální ileostomie. Z endoskopických technik, které se mohou uplatnit, přicházív úvahunovězaváděnáendoskopická vakuová terapie nebo provedení sinusotomie. Tento nový endoterapeutický výkon byl zaveden do klinické praxe před několika lety v Clevelandu a spočívá v širokém protětí a otevření vnitřního ústí sinusu elektrokauterem a v propojení sinusu s dutinou pouche. Sinusový kanál byl u této pacientky dlouhý přes 60mm s průměrem lumen okolo 10mm. Široké otevření sinusu a spojení s lumen pouche zabránilo další progresi hnisavé retence v presakrálním prostoru a zároveň

NOVÉ TRENDY V KOLOPROKTOLOGII: PRŮVODCE PRO POSTGRADUÁLNÍ

VZDĚLÁVÁNÍ

Cílem publikace je poskytnout informace o vývoji, který mění diagnostiku a léčbu v koloproktologii, o současném přístupu v managementu ošetřovaných chorob a rozšířit znalost o nových trendech v tomto oboru. Kniha je ve vybraných kapitolách věnována průřezově aktualitám této chirurgické specializace.

Kupujte na grada.cz Postgraduální

umožnilo, aby byla dutina v presakrálním prostoru postupně vyplněna granulační tkání. Provedení sinusotomie u této pacientky je možné zhlédnout na webových stránkách časopisu (www.csgh.info). Endoskopický přístup byl pro pacientku z výše uvedených nejšetrnější, a nakonec také velmi efektivní. Kontrolní klinické vyšetření za 3 měsíce po výkonu vykazovalo významné zlepšení klinického stavu, snížení počtu stolic, plnou kontinenci střevního obsahu a zvýšení tělesné hmotnosti o 5kg. Lokalizace sinusu, tvorba presakrálního abscesu s těsnou návazností na provedenou rekonstrukční střevní operaci odlišují popsanou komplikaci od Crohnovy nemoci, která se objevuje v pouchi cca u 10–15 % nemocných v průběhu několika let po operaci, kteří se podrobili výkonu pro ulcerózní kolitidu. Vředy nebo píštěle jsou u nově vzniklé Crohnovy nemoci v pouchi lokalizovány nejčastěji v přívodné kličce a v perianální oblasti nebo v řitním kanále.

Galerie „otc zakladatel “ gastroenterologické spole nosti

Profesor MUDr. Karel Herfort, DrSc.

( . . – . . )

M. Lukáš

Klinické a výzkumné centrum pro st evní zán ty, Klinické centrum ISCARE a.s. a . LF UK v Praze

Profesor Karel Herfort pocházel z významné lékařské rodiny, jeho otcem byl prof. Karel Herfort (1871–1940), význačný český psychiatr a zakladatel péče o mentálně postižené děti, který pracoval na počátku minulého století jako lékař v Ernestinu, v prvním ústavu pro mentálně postižené děti založeném ve Šternberském paláci na Hradčanech. Syn Karel Herfort vystudoval lékařskou fakultu v Praze a po promoci nastoupil na I. interní kliniku Všeobecné nemocnice u prof. Krystiana Hynka. Zde se záhy stal členem gastroenterologického týmu se zájmem o provádění endoskopických vyšetření, byl také přímým spolupracovníkem dalšího „otce zakladatele“ ČGS prof. Jiřího Scheinera. Ve 30. letech realizoval studijní pobyty u prof. Mountiera v Paříži, kde se seznámil se semiflexibilní gastroskopií.V roce 1945 byl u zrodu ČGS. O jehovýznamnémpostavenípřizaložení a formování naší společnosti svědčí fakt, že zastával funkci vědeckého sekretáře. V roce 1951 přešel Karel Herfort z I. interní kliniky na fakultní polikliniku v Praze, kde založil interní oddělení a později Laboratoř gastroenterologie 1. lékařské fakulty v Praze. Na tomto pracovišti postupně

budoval mladý tým spolupracovníků zaměřených na gastroenterologii. V roce 1956 byl jmenován profesorem vnitřního lékařství a interní oddělení fakultní polikliniky vedl až do roku 1973, kdy jej vystřídal v pozici šéfa jeho žák doc. P. Frič. Z této vynikající líhně vzešli v pozdějších letech hvězdy české gastroenterologické školy jako byl zmíněný prof. Přemysl Frič, doc. Jan Kotrlík, as. Hana Dvořáková a mnozí další. V průběhu 50. let se Herfortova odborná pozornost zaměřila na onemocnění pankreatu, byl autorem klasifikace pankreatitidy a také inicioval založení a provádění testů posuzujících zevně sekretorickou schopnost břišní slinivky. Jeho nejvýznamnější žák a jedna z největších postav české medicíny druhé poloviny 20. století prof. MUDr. Přemysl Frič, DrSc., jeho osobnost charakterizoval slovy Marka Twaina:„Always do right. This will gratify some people and astonish the rest.“Ve svých aktivitách pro gastroenterologickou společnost pokračoval i v dalších letech a jeho činnost byla završena funkcí předsedy společnosti, kterou zastával v letech 1960–1964. Mezinárodní proslulost a prestiž prof. Herforta umožnila, aby byl na přelomu

Obr. . Prof. MUDr. Karel Herfort, DrSc. ( – ).

Zdroj obrázku: GS LS JEP.

Fig. . Prof. Karel Herfort, MD, DrSc. ( – ).

50. a 60. let minulého století zakládajícím členem Asociace národních gastroenterologických společností Evropy a Středomoří, označené jako ASNEMGE. Prof. Karel Herfort se dožil požehnaného věku 94 let.

Milan Lukáš šéfredaktor časopisu milan.lukas@email.cz

. výro í založení eské gastroenterologické spole nosti

th anniversary of the founding of the Czech Gastroenterological Society

Termín konání osmého ročníku kongresu České gastroenterologické společnosti vychází téměř na den přesně s výročím založení naší odborné společnosti, k němuž došlo před 80 lety dne 25. 10. 1945. Rád bych zmínil atmosféru a několik zakládajících osobností, které u zrodu odborné společnosti stály. Rozvoj různých podoborů vnitřního lékařství ve 30. letech minulého století byl velmi intenzivní, avšak byl násilně přerušen válečnými lety 1938–1945. Krátce po skončení druhé světové války, a to již v červenci roku 1945, byla v knihovně propedeutické kliniky prof. Prusíka ve Všeobecné nemocnici v Praze, dnešní IV. interní kliniky, svolána schůze přípravného výboru s cílem založit samostatnou odbornou společnost, která se bude věnovat diagnostice a léčbě trávicích chorob a jater. Doc. Scheiner, člen gastroenterologické skupiny z I. interní kliniky ve Všeobecné nemocnici v Praze, na přípravné schůzi shrnul důvody pro založení nové odborné společnosti. Zároveň si přípravný výbor přál vydávat vlastní časopis, a proto byla založena pracovní skupina, jejímiž členy byli: dr. Mařatka, doc. Mašek, doc. Scheiner a dr. Herfort, která měla za úkol prozkoumat požadavky lékařů z klinické praxe, zda by vznik takového časopisu uvítali. Byl připravena rozeslándotazník.Nadalšímsetkání dne 7. 9. 1945 bylo konstatováno, že odpovědělo a souhlas vyjádřilo pouze 148 lékařů a mnozí, především pražští kolegové, vůbec neodpověděli. Limitem pro možnost založit nový časopis byl minimální počet souhlasů 200 a vyšší, a proto musela být tato aktivita od-

ložena až na pozdější dobu. V dubnu 1947 vyšlo první číslo našeho časopisu pod názvem Gastro-enterologia Bohema. Nicméně při této druhé přípravné schůzi (7. 9. 1945) bylo určeno datum první plenární a zakládající schůze, která se uskutečnila dne 25. 10. 1945 v posluchárně III. interní kliniky Všeobecné nemocnice. Zde se sešel výkvět interní medicíny té doby, neboť zakládajícími členy byli nejen gastroenterologicky orientovaní internisté, ale také revmatologicky, endokrinologicky a kardiologicky orientovaní lékaři, jako byl prof. Prusík, prof. Charvát nebo prof. Lenoch. Ze zakládajících členů gastroenterologů to byli: doc. Mašek, doc. Scheiner, dr. Mařatka a dr. Herfort. Návrh stanov nové společnosti přečetl doc. Mašek a poté byl zvolen prvním předsedou ČGS doc. Scheiner a také tři místopředsedové v pořadí prof. Diviš, prof. Netoušek a prof. Hons. Prvním sekretářem (tajemníkem výboru ČGS) byl zvolen dr. Herfort a pokladníkem prof. Lenoch. Členové výboru byl dr. Mařatka, prof. Charvát, doc. Mašek a doc. Šváb. Informace, resp. zápis z této zakládající schůze byl zveřejněn v prvním čísle nově založeného odborného časopisu Gastro-enterologia Bohema v dubnu 1947, s téměř dvouletým zpožděním. Dne 28. 2. 1946 byl na valné hromadě definitivně potvrzen konstituovaný výbor společnosti.V roce 1951 došlo ke sloučení dvou odborných společností, české a slovenské, za vzniku Československé gastroenterologické společnosti. V roce 1971 se hepatologická sekce, původně komise, od ČGS osamostatnila a vznikla nezávislá Česká hepatologická

společnost (ČHS). V průběhu 80 let trvání odborné společnosti se v jejím řízení vystřídalo celkem 16 předsedů, z nichž některé – otce zakladatele – jsme v našem časopisu Gastroenterologie a hepatologie zmiňovali v průběhu tohoto roku, konkrétně se jednalo o prof. Mařatku, prof. Scheinera, prof. Maška, a prof. Herforta. Seznam všech dosavadních předsedů ČGS naleznete v tab. 1.

Nedílnou součástí aktivit naší společnosti je vydávání odborného periodika, jehož historie je jen o 2 roky kratší než historie celé společnosti. Téměř osm desítek let vydávání časopisu je spojeno především se změnami názvů tohoto periodika. Prvním titulem byla Gastro-enterologia Bohema a vedoucím redaktorem byl Karel Herfort. Poté v roce 1950 na jeden rok vedl časopis Přemysl Domberský a časopis byl přejmenován na Sborník pro pathofysiologii trávení a výživu. Od roku 1952 redigoval časopis Josef Mašek, který v roce 1956 indukoval další změnu názvu časopisu na Československá gastroenterologie a výživa, a tento název měl časopis téměř 40 let. V roce 1969 převzal po Maškovi časopis Zdeněk Mařatka, který jej redigoval následujících 30 let, a to až do roku 1999. V roce 1993 byla realizována další změna názvu časopisu na Česká a slovenská gastroenterologie a hepatologie. V roce 1999 převzal po Mařatkovi časopis doc. Kment, který jej vedl do konce roku 2010. Od roku 2011 došlo k poslední změně názvu časopisu na Gastroenterologie a hepatologie a od této doby do současnosti je vedoucím redaktorem prof. Lukáš.

. kongres eské gastroenterologické spole nosti: abstrakta

. kongres eské gastroenterologické spole nosti LS JEP .– . íjna

Clarion

Congress Hotel Prague, Praha

VYZVANÉ P EDNÁŠKY

Slavnostní zahájení kongresu

Idiopatické st evní zán ty

D. Ďuricová

Klinické a výzkumné centrum pro střevní záněty, Klinické centrum ISCARE a.s. a 1. LF UK v Praze

Idiopatické střevní záněty (IBD) jsou medikamentózně nevyléčitelná chronická zánětlivá onemocnění gastrointestinálního traktu, která jsou u přibližně třetiny pacientů doprovázena řadou extraintestinálních projevů. Onemocnění je diagnostikováno převážně v adolescentním a mladém dospělém věku. Průběh onemocnění je velmi variabilní a u značného počtu pacientů vede ke snížení kvality života nebo invaliditě. Zatímco incidence IBD ve většině západních zemí světa již dosáhla určitého plató nebo dokonce klesá, v nově industrializovaných zemích lze pozorovat rychlý nárůst incidence. Naproti tomu, prevalence IBD narůstá celosvětově. Přesná etiopatogeneze onemocnění není známa, mezi potencionálně rizikové faktory vzniku IBD patří kouření, užívání antibiotik, kojení a dieta. IBD představuje pro zdravotnický systém vysokou zátěž, ekonomickou i personální. Výzkum a implementace strategií k prevenci IBD jsou proto velmi důležité.

IBD pracovní skupina: optimalizace cílené lé by IBD

Malé molekuly: pro a proti

D. Ďuricová

Klinické a výzkumné centrum pro střevní záněty, Klinické centrum ISCARE a.s. a 1. LF UK v Praze

Idiopatické střevní záněty (IBD) jsou medikamentózně nevyléčitelná chronická zánětlivá onemocnění gastrointestinálního traktu. V posledních několika letech se terapeutické spektrum IBD rozšířilo o nový typ terapie – tzv. malé molekuly. Janus kináz (JAK) inhibitory představují jednu skupinu těchto léků. JAK enzymy jsou čtyři intracelulární enzymy (JAK 1, 2, 3 a tyrosinkináza 2), které zprostředkovávají reakci na různé cytokiny nebo růstové faktory podílející se na široké škále buněčných procesů, včetně imunitních reakcí. Pro léčbu IBD byly registrovány tři přípravky: tofacitinib, filgotinib a upadacitinib. Druhou skupinu tvoří modulátory receptorů sfingosin-1-fosfátu (S1P), jejichž předpokládaným mechanizmem účinku je reguluje migrace lymfocytů ze sekundárních lymfatických orgánů (lymfatických uzlin) do periferního řečiště a následně na místo zánětu. Pro léčbu ulcerózní kolitidy jsou registrována dvě léčiva – ozanimod a etrasimod. Velkou výhodou malých molekul je možnost perorálního podání, absence imunogenity a celkově kratší poločas eliminace. Malé molekuly poskytují velmi příznivý poměr rizika a přínosu pro pacienty a významně rozšiřují terapeutické možnosti pro pacienty s IBD.

Refluxní porucha jícnu: komplexní pohled

Anti-reflux endoscopic therapies (ARETs)

B. Hayee

King‘s College Hospital, London, UK

There is increasing interest in alternative treatments for acid reflux, particularly where anatomical disruption is minimal and surgical repair is not advantageous. A variety endoscopic repair procedures have emerged in recent years with varying degrees of evidence to support their use. This lecture will review anti-reflux endoscopic therapies (ARETs) focusing on rationale, technical factors, patient selection and outcomes.

Gastroenterologie a hepatologie

Vedoucí redaktor (Editor-in-Chief)

prof. MUDr. Milan Lukáš, CSc., AGAF Klinické a výzkumné centrum pro st evní zán ty, Klinické centrum ISCARE a.s. a . LF UK v Praze eskomoravská , Praha milan.lukas@email.cz

Zástupce vedoucího redaktora pro Slovenskou republiku (Editor for Slovak Republic)

doc. MUDr.Tomáš Koller, PhD. V. interná klinika LF UK a UN Bratislava Ružinovská , Bratislava koller.tomas@gmail.com

Redak ní rada (Editorial Board)

doc. MUDr. Peter Bánov in Jr, PhD. Interná klinika gastroenterologická JLF UK a UN Martin

doc. MUDr. Martin Bortlík, Ph.D. Gastroenterologické odd lení, Nemocnice eské Bud jovice, a.s.

prof. MUDr. Radan Br ha, CSc. IV. interní klinika – klinika gastroenterologie a hepatologie . LF UK aVFN v Praze

MUDr. Iveta ierna, PhD. Detská fakultná nemocnica s poliklinikou, Bratislava

doc. MUDr. So a Fra ková, Ph.D. Klinika hepatogastroenterologie, IKEM, Praha

prof. MUDr. Martin Fried, CSc. OB Klinika a. s., Praha

prof. MUDr.Tibor Hlavatý, PhD. Gastroenterologické centrum Bezru ova, Bratislava

prof. MUDr.Tomáš Hucl, Ph.D. Klinika hepatogastroenterologie, Transplantcentrum, IKEM, Praha

doc. MUDr. ubomír Skladaný, PhD. II. interná klinika SZU a FNsP F.D. Roosevelta v Banskej Bystrici

doc. MUDr. Št pán Suchánek, Ph.D. Interní klinika . LF UK a ÚVN Praha

doc. MUDr.Václav Šmíd, Ph.D.

IV. interní klinika . LF UK aVFN v Praze

prof. MUDr. Julius Špi ák, CSc. Klinika hepatogastroenterologie, Transplantcentrum, IKEM, Praha

doc. MUDr. IljaTachecí, Ph.D. II. interní gastroenterologická klinika LF UK a FN Hradec Králové

prof. MUDr.VladimírTeplan, DrSc. Klinické a výzkumné centrum pro st evní zán ty ISCARE a.s., Praha

prof. MUDr. Ond ej Urban, Ph.D.

II. interní klinika – gastroenterologická a geriatrická LF UP a FN Olomouc

doc. MUDr. EduardVeseliny, PhD., MHA II. interná klinika LF UPJŠ a UN LP Košice

MUDr. Kristýna Zárubová, Ph.D. Pediatrická klinika . LF UK a FN Motol

Mezinárodní redak ní rada (International Editorial Board) Prof. Lars Aabakken, MD, PhD Professor of Medicine, Chief of GI endoscopy Oslo University Hospital Rikshospitalet Oslo, Norway

Peter Doyle Higgins, MD, PhD

Associate Professor, Department of Internal medicine, Gastroenterology University of Michigan, USA

Peter Laszlo Lakatos, MD, PhD

Professor of Internal Medicine, director of the IBD Centre at McGill University, MUHC, Sherbrooke Street West, Montreal, Quebec, Canada

Prof. David Lieberman

Professor of Medicine and Chief of the Division of gastroenterology

Oregon Health & Science University Portland, Oregon, USA

Prof. Jong-Ho Moon, MD, PhD

Professor of Medicine, School of Medicine, SoonChunHyang University Bucheon/Seoul, Korea

Prof. Walter Reinisch, MD

Professor of Medicine, Department of Internal medicine, Gastroenterology, McMaster University Hamilton, Ontario, Canada

Florian Rieder, MD

Department of Gastroenterology, Hepatology and Nutrition, Digestive Disease and Surgery Institute Department of Pathobiology, Lerner Research Institute Cleveland Clinic Foundation, Cleveland, Ohio, USA

Prof.Vincenzo Stanghellini

Professor of Medicine

Department of Medical and surgical science University of Bologna, Italy

Prof. Jerome D. Waye, MD

Professor of Medicine, Director of Endoscopic Education Icahn School of Medicine Mount Sinai, NewYork, USA

Harmonogram vydání a tematické zam ení asopisu Gastroenterologie a hepatologie pro rok . A time schedule of journal´s publication with major topics for .

ísloTémaKoedito iTermín vydání / IBDM. Bortlík/T. Hlavatýúnor / hepatologieR. Br ha/ . Skladanýduben / digestivní endoskopieO. Urban/E. Veseliny erven / klinická a experimentální gastroenterologieT. Hucl/P. Bánov insrpen / gastrointestinální onkologieŠ. Suchánek/T. Koller íjen / d tská gastroenterologie a hepatologie / bariatrie a obezitologieK. Zárubová/M. Friedprosinec

© eská léka ská spole nost J. E. Purkyn , Praha

Gastroenterologie a hepatologie

Vydává eská léka ská spole nost J. E. Purkyn ve spolupráci s nakladatelstvím Care Comm s.r.o. Eviden ní íslo MK R E . ISSN(Print). ISSN - X (On-line).

On-line verze je p ístupná na adrese www.csgh.info.

asopis SGH je uveden na SCOPUS, CHEMICAL TITLES, EXCERPTA MEDICA/EMBASE, CHEMICAL ABSTRACTS, INIS Atomindex, Food Science

and Technology Abstracts, Bibliographia Medica echoslovaca, Index Copernicus, Bibliovigilance. Nakladatel: Care Comm s.r.o. Klicperova / , Praha

Odpov dná redaktorka: Ing. Kate ina Michnová katerina.michnova@carecomm.cz

Grafická úprava: Karel Zlevor

Vychází × ro n

P edplatné na rok iní K ( eur). Objednávka p edplatného R i SR na adrese: predplatne@carecomm.cz

Informace o podmínkách inzerce poskytuje a objednávky p ijímá: Jan Laitl jan.laitl@carecomm.cz + Toto íslo vychází íjna

Turn static files into dynamic content formats.

Create a flipbook
Issuu converts static files into: digital portfolios, online yearbooks, online catalogs, digital photo albums and more. Sign up and create your flipbook.