

Consideraciones clínicas de los pacientes con
![]()


Consideraciones clínicas de los pacientes con
y su relación con los defectos del desarrollo del esmalte

Este maravilloso tema que les presento en este eBook ha atrapado mi atención desde hace muchos años. Aprender todo lo que rodea a los defectos del esmalte y sus relaciones en la vida de muchos seres humanos requiere una suprema dedicación como todo lo importante.
Tengo el pleno convencimiento que los libros deben ser consumidos por todas las mentes sedientas de conocimiento y al mismo tiempo deben ser cuidados, conservados en lugares privilegiados, atesorados y respetados
Ellos hacen nidos en cada corazón que se sumerja en sus páginas y en sus letras Las bibliotecas entonces son castillos donde habitan estos maravillosos objetos para reinar como señales en la neblina de la ignorancia. Es por esto que debo exigirle al lector NO violar los derechos de autor, la NO reproducción ilegal de este, el respeto por el trabajo de otros y que pudiendo hacer lo correcto, NO decidan hacer lo contrario Esto tendría como consecuencia la pérdida del valor científico de este texto, la imposibilidad de poder seguir trabajando en otros proyectos tan valiosos como este y en el desprecio del lector como el principal beneficiario de este magno esfuerzo
Para que existan libros como este es necesario el trabajo y dedicación de muchos. Su reproducción sin el permiso de su autor viola la ley y la lógica ya que contribuye a la muerte de nuevas ediciones y de los que aún disfrutamos leer y aprender
Coloco en tus manos tu propia inversión al adquirir este eBook, el aprender de este trabajo y de esta colección académica de guías prácticas de la que este es el tercero y sumando.
Si se pierde, todos perdemos
ISBN: 978-84-09-76055-8
Graduado en la Facultad de Odontología de la Universidad Central de Venezuela
Docente jubilado de la Cátedra de Odontología Operatoria. Facultad de Odontología. Universidad Central de Venezuela
Director del Centro Venezolano de Investigación Clínica para el tratamiento de la Fluorosis Dental y Defectos del Esmalte (CVIC FLUOROSIS)
Académico, investigador, autor de artículos científicos, experto en materiales dentales y conferencista.
Fotógrafo clínico y experimental


“…Nada en esta vida debe asustarnos, solo debe ser comprendido. Es tiempo de entender más para que temamos menos…”
Marie Curie




CONSIDERACIONES EN ODONTOPEDIATRÍA

CONSEJOS CLÍNICOS
CONCLUSIONES
Les doy una alegre bienvenida a este E-book realizado con el objetivo de informar sobre la íntima relación entre la Condición
Celíaca y la salud oral, haciendo énfasis en sus manifestaciones bucales, como lo son los defectos del desarrollo del esmalte, entre otras afecciones
Al realizar la revisión de numerosos libros sobre esta condicion, me llamó la atención que en uno solo se mencione esta relación, resaltando únicamente la hipoplasia del esmalte, sin ninguna explicación complementaria que profundizara en el tema.
Se conoce que la Condición celíaca involucra la salud general de quien la padece y su alcance como patología es muy amplio; tomando esto en cuenta la salud bucal no puede excluirse, debemos concederle a nuestros pacientes una adecuada calidad de vida en conjunto con tratamientos que den solución a los problemas que la condición genere.
Entre estos problemas se encuentran las alteraciones del desarrollo del esmalte, que afectan el desarrollo facial, maxilar, psíquico, social e intelectual del paciente dando como resultado una baja autoestima y autoimagen


Es de hacer notar que estos defectos tienen soluciones diversas, preventivas y poco invasivas con protocolos definidos por el estudio y la ciencia, siendo importante un abordaje correcto en la identificación temprana para un diagnóstico adecuado
Existe una sola salud, no se debe pensar que debemos vigilar solo la salud médica y la salud Odontológica cuando duela Se tiene salud o no se tiene, se está sano o se está enfermo Por ello trabajamos en aumentar los aportes en esta área que aunque, se discute y explora poco, genera cambios significativos para la calidad de vida del paciente.



La Condición Celíaca, o también llamada “La Celiaquía”, es definida como un desorden sistémico, específicamente una enteropatía crónica de mecanismo inmunológico, debido a una intolerancia permanente a un conjunto de proteínas denominadas prolaminas presentes en el gluten y otros cereales (trigo, centeno y la cebada) en sujetos genéticamente predispuestos (niños y adultos).
Se caracteriza por la inflamación crónica de la parte proximal del intestino delgado, con atrofia de las vellosidades que puede conducir a la mala absorción de una variedad de macro y micronutrientes, que incluyen hierro, calcio, ácido fólico y vitaminas liposolubles. Es de hacer notar que esta intolerancia se mantiene durante toda la vida.



Es una proteína presente en el trigo, centeno, cebada y los productos derivados de estos cereales Aunque no se encuentra en la avena, existe un 5% de pacientes que no la tolera.

La gliadina procedente del trigo, constituye el mayor problema por ser la más utilizada en la industria alimentaria
Cuando este ingresa al intestino de las personas genéticamente predispuestas, su sistema inmune reacciona dañando las vellosidades intestinales, causando múltiples deficiencias nutricionales A largo plazo, estos anticuerpos pueden afectar a otros órganos como el corazón, los riñones, el hígado, la tiroides, etc.

Se define a un producto libre de gluten cuando tiene un contenido menor de 20 ppm (mg/kg), aunque existe una sólida corriente para llevar este a 3 ppm ya que se encuentran personas intolerantes en este rango.
¿CUÁLES SON LOS SÍNTOMAS DE LA CONDICIÓN CELÍACA?
Los síntomas en la mayoría de los casos son: dolor abdominal, diarrea, distención, pérdida de peso, dermatitis, retraso en el crecimiento de los niños, meteorismo, anemia ferropénica, baja densidad ósea, fatiga prolongada, infertilidad, entre otros
En algunos pacientes los síntomas pueden estar ausentes lo que dificulta el diagnóstico.

¿CUÁNTAS FORMAS DE CONDICIÓN CELÍACA EXISTEN?
Actualmente en el espectro clínico se habla de formas clásica, atípica, activa, silente, latente y potencial, siendo estas manifestaciones distintas según la edad del paciente

Es la condición genética mas frecuente pero en la que menos se sospecha o piensa y está asociada a mas de trescientas (300) enfermedades.
1% de la población mundial la padece o es diagnosticada (sintomática), es decir, una persona de cada 100 padece la Condición Celíaca. Entre el 25-30% de la población general es portadora de algún alelo y no es diagnosticada.
La prevalencia cambia con la edad, diagnosticándose más en los primeros años de vida. En niños el diagnóstico se realiza en el primer año de vida en la mayoría de las veces. En adultos la edad media del diagnóstico es de 40,5 años (rango 17-82 años).
En relación al género, se encuentra mas en niñas que en niños (2/1 y hasta 3/1).

La Celiaquía tiene un solo tratamiento 100% efectivo y consiste en eliminar completamente el gluten de la dieta del paciente de por vida. Se recomienda con énfasis que sea eliminado también del grupo familiar para evitar la contaminación cruzada o crisis por contacto.


¿LA CONDICIÓN CELÍACA TIENE ALGUNA RELACIÓN CON LA SALUD BUCAL?
Sí, todo problema nutricional y metabólico, sea hereditario o congénito, durante la fase de formación de los dientes afectará sus tejidos y por ende su salud e integridad.
¿QUÉ SUCEDE CON LA HIGIENE BUCAL, DEBE SER DISTINTA?
Debe ser distinta solo si se ha diagnosticado algún problema bucal como úlceras, defectos del esmalte, caries, etc.
De lo contrario, se debe vigilar la higiene bucal de forma convencional, manteniendo una dieta baja en carbohidratos, cepillado diario (mínimo dos veces al día con pasta dental con flúor) y control efectivo de la biopelícula que es la causante de muchos problemas bucales

Sí, debido a que la Condición
Celíaca afecta la salud de forma integral, por lo que la salud bucal también se ve alterada, sin embargo, dependerá del grado de severidad de la condición.
La caries es una enfermedad multifactorial de alta prevalencia que actualmente se trata con un enfoque donde prevalece el concepto de “salud bucal”, “prevención” y “atención oportuna” antes de presentar dolor e incluso la evidencia de la enfermedad, evaluando factores de riesgo como dieta, hábitos, higiene bucal, salud general, entre otros
¿CÓMO
PUEDE AFECTAR LA CONDICIÓN CELÍACA EL DESARROLLO DE LOS DIENTES?
Los dientes se ven afectados durante su desarrollo por los proble- mas nutricionales y metabólicos que produce la Condición Celíaca. Este período de desarrollo tiene una ventana de varios años, por lo que muchas afecciones pueden alterar estos tejidos de forma característica
QUE SE PUEDEN PRESENTAR EN LAS PERSONAS CON LA CONDICIÓN CELÍACA?
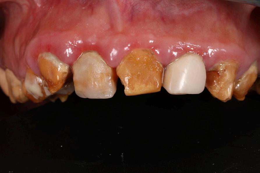
Se puede presentar Amelogénesis imperfecta, Hipomineralización molar incisivo, Hipoplasia del esmalte y por supuesto Caries dental
Se considera que los pacientes con
Celíaca tienen mayor riesgo de desarrollar defectos del esmalte (50%)
¿DE QUÉ SE TRATA LA AMELOGÉNESIS IMPERFECTA?
Es un defecto del tejido adamantino del diente, que durante su formación (amelogénesis), sufrió una alteración por causas genéticas, hereditarias, nutricionales o metabólicas
Este tejido puede estar tan dañado como que esté ausente total o parcialmente en el diente y generalmente afecta a todos los dientes primarios y permanentes.


¿CÓMO
Se encuentran varios tipos de Amelogénesis imperfecta: hipoplásica, hipomineralizada, hipomadura, hipomadura hipoplásica con taurodontismo, y 14 subtipos mas.
Esta patología cursa con pobre función y estética, hipo desarrollo maxilar, hipersensibilidad dentinaria, mala higiene, alto índice de caries asociada a otras condiciones generales (renales, respiratorias, alérgicas, genéticas), retardo en la erupción, baja autoestima y autoimagen, desinserción social y escolar. Se llega a definir como un problema familiar por lo complejo de los tratamientos y el largo período que se requiere para lograr el éxito.



Sí tiene solución. El abordaje dependerá del diagnóstico temprano del equipo multidisciplinario que atienda al paciente, su entrenamiento de alta calidad y del conocimiento e importancia que le den los padres al problema
Es un defecto relacionado a la poca mineralización de los tejidos duros de los primeros molares permanentes e incisivos centrales inferiores y/o superiores, los cuales tienden a formarse en el mismo período de tiempo, pudiera estar relacionado algún otro diente en la cavidad bucal pero es poco frecuente y se da de forma aleatoria entre caninos y premolares
Este defecto se define como un problema cualitativo del esmalte, es decir, su esmalte tiene baja calidad mineral

El color de la lesión solo indica mayor profundidad del defecto, así tenemos que mientras la mancha es de color crema, menos profundo es el defecto y mejor pronóstico tiene Por el contrario, mientras la mancha o lesión tiene un color mas oscuro hacia el ocre o marrón, mayor el daño a profundidad y por consiguiente peor pronóstico, el tratamiento debe ser mas invasivo, menos longevo, de mayor costo y muchas veces menos indicado o aceptado
Las posibles causas son enfermedades crónicas como problemas renales, acidosis tubular, nefrocalcinosis, enfermedades nutricionales, alergias y amigdalitis recurrentes, uso frecuente de esteroides y antihistamínicos, así como cualquier afección metabólica y nutricional localizadas en los tres (3) primeros años de vida
La Hipomineralización molar incisivo está muy relacionada a la Condición Celíaca y es erróneamente tratada como caries

Cursa con mucha hiper sensibilidad dentinaria, fracturas del esmalte, dolor, mala higiene bucal, pérdida de estructura dentaria, pobre estética, desinserción social, baja auto estima, auto imagen y deserción escolar.
Sí tiene solución y al igual que la Amelogénesis imperfecta, depende mucho de la información que posean los padres, del diagnóstico temprano que realice el odontólogo bien entrenado en estas patologías, del equipo multidisciplinario que atienda al paciente y de las terapias que se apliquen efectivamente para resolver cada signo y síntoma evitando mayores consecuencias
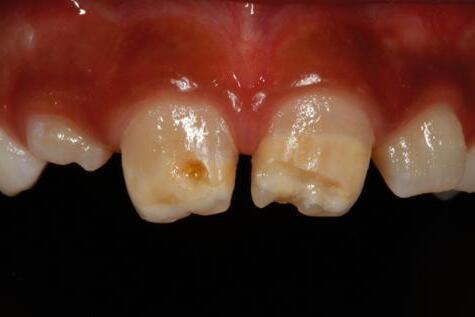
Este es un defecto cuantitativo del esmalte, es decir, existe buena mineralización pero cantidad disminuida de este tejido en la zona del defecto. Existe pérdida de la continuidad del tejido, con posible exposicion de dentina y se presenta con bordes definidos, redondeados y generalmente son de color blanco o crema

La diferencia con la Hipomineralización molar incisivo está en su estructura, origen y color No tiende a presentar colores tan intensos y su aparición es aleatoria e idiopática en la mayoría de los casos Se le debe prestar mucha atención ya que puede desencadenar situaciones graves por decisiones incorrectas en los tratamientos, mal uso de los materiales odontólogicos e identificación tardía.
Si bien existe la hipoplasia medicamentosa, no se tiene claro cuales medicamentos pueden intervenir en la formación del esmalte, siendo la placenta un filtro muy efectivo para la mayoría de ellos, es poco frecuente que el esmalte de los dientes primarios se encuentre involucrado en estas lesiones. Se puede vincular la ingesta de larga data y la posología de los medicamentos al defecto, pero suele relacionarse más a la enfermedad directamente como la causa de ciertas lesiones hipoplásicas.
Retraso en la erupción dentaria, aftas labial y en la lengua, queilitis, liquen plano, glositis atrófica, herpes recidivante. El maxilar se ve comprometido como consecuencia de la osteoporosis y la reabsorción lenta y progresiva de las crestas óseas, acompañada con movilidad dentaria.
Sin embargo, en algunas oportunidades no se presentan síntomas ni signos
¿CUÁL ES LA CONDUCTA A SEGUIR EN NIÑOS CON LA CONDICIÓN
Todo niño debe ser llevado al Odontopediatra antes de cumplir el primer año de vida. En este período se busca realizar un despistaje tempranode cualquier patología en la cavidad bucal, educar a los padres sobre la higiene bucal, técnica de cepillado, uso correcto de la pasta dental con flúor y la
alimentación debida
La mayoría de los diagnósticos de Condición Celíaca se realizan en esta etapa de vida
Es de suma importancia que los hijos adopten hábitos correctos de higiene corporal y buena salud bucal, de esta manera los padres deben ser ejemplo y patrón a seguir
Cuando se promueven estos hábitos y conciencia sobre salud, se está alerta ante cualquier evento solicitando atención profesional especializada
¿SE PUEDEN PREVENIR LOS DEFECTOS DEL ESMALTE EN NIÑOS CON CONDICIÓN CELÍACA?
No se pueden prevenir los defectos del esmalte pero se pueden minimizar las consecuencias de estos, asistiendo al odontólogo especializado en estas patologías para lograr una identificación y el diagnóstico temprano de la Condición Celíaca y el despistaje de padecimientos secundarios, evitando problemas en el desarrollo de los tejidos dentarios Lo mas importante para la Odontología es que los pacientes se encuentren bien informados sobre todos los aspectos relacionados a su salud bucal.
¿CUÁLES SON LOS TRATAMIENTOS DE LOS DISTINTOS DEFECTOS DEL ESMALTE QUE SE
PUEDEN PRESENTAR EN PERSONAS CON CONDICIÓN CELÍACA?
Dependiendo del defecto del esmalte que se identifique, se pueden aplicar distintas técnicas de tratamiento comenzando con terapias de remineralización y fortalecimiento de este esmalte, asi mismo existen otros como micro y macro abrasión del esmalte, blanqueamiento dental, resinas infiltrantes, restauraciones o combinación de algunos de ellos. También conseguimos que las carillas o restauraciones de resina compuesta o cerámica, son útiles, estos son tratamientos más invasivos y pueden ser menos longevos, lo que nos lleva a mayor gasto de tejido dentario y de dinero, por lo que su consideración debe ser bien analizada y solo pueden asegurar una solución temporal del problema, debido a esto, analizar, discutir y decidir de la mano del profesional, sería el paso adecuado para intervenir en la solución presente y futura al defecto del esmalte que lo afecte.

Se debe observar una conducta poco invasiva en todo momento y esta debe prevalecer por encima de la afección estética en casos leves y moderados para la máxima conservación de los tejidos y la salud bucal de los pacientes
¿QUÉ PODEMOS HACER CON LOS MATERIALES ODONTOLÓGICOS Y LOS RUMORES QUE ESTOS CONTIENEN GLUTEN O NO ESTÁN DISEÑADOS
LAS PERSONAS SENSIBLES A ESTA PROTEÍNA?
No es cierto que los materiales odontológicos contengan gluten Si así fuera, se formarían grumos al exponerlos a la humedad del ambiente.
Algunos profesionales utilizan guantes de examen con algún tipo de polvo que puede contener gluten, es de primordial importancia estar alerta ante eventualidades como esta En estos grupos de pacientes se pueden conseguir algunos sensibles a la lactosa, por lo
que se debe conocer el origen de ciertos productos remineralizantes ya que pueden provenir de de importancia. la leche (fosfopéptidos de caseína) y causar reacciones
1. Considerar La Celiaquía como un diagnóstico posible en cualquier paciente con defectos del esmalte dental, aftas recurrentes o ambos
2. Preguntar acerca de otros síntomas clínicos incluyendo dolores abdominales, diarreas, pérdida de peso, retraso en el crecimiento, anemia o fatiga extrema Recuerde que la ausencia de estos síntomas no la excluye
3. Interrogar acerca de otras enfermedades autoinmunes, especialmente diabetes tipo I y tiroiditis. La presencia de estas aumentará la probabilidad de esta intolerancia
4. Evaluar agregar la Condición Celíaca a la lista de desórdenes cuando se interroga al paciente durante la anamnesis de los antecedentes familiares. Tener un familiar de primer o segundo grado con la patología, incrementa la posibilidad de un diagnóstico positivo.
5. Si sospecha de este trastorno, el odontólogo podría coordinar con el paciente, un test de laboratorio de acuerdo con el médico de atención primaria o con un especialista
Actualmente el análisis recomendado es la búsqueda en sangre de anticuerpo Antitranglutaminasa IgA, el cual es fácilmente disponible. La deficiencia de IgA es común en esta afección por lo que también deben ser estimados.
6. Recomendar la dieta libre de gluten al paciente únicamente con la confirmación del diagnóstico y bajo supervisión médica

Este E-book presenta una nueva perspectiva para un abordaje multidisciplinario de la enfermedad, sugiriendo que los pacientes con defectos del esmalte deberían ser investigados por la posibilidad de padecer de Condición Celíaca. De esta forma, los Odontólogos pueden contribuir activamente en el diagnóstico de esta enteropatía, especialmente en los casos asintomáticos
Propiciar cualquier participación de los odontólogos en eventos informativos y divulgación, otorgándole el tiempo y la importancia requerida, es un primer paso de alta relevancia para comenzar a conocer todo lo que sucede desde la premisa “ somos lo que comemos” y todo eso que comemos lo hacemos por la boca, un sistema tan complejo e importante que solo hay uno en el cuerpo humano y requiere de un profesional bien entrenado y conocido en la materia para procurar la salud en sus pacientes.
Debemos motivar el interés en intervenir a tiempo en esta condición, existiendo suficiente información y evidencia científica para generar un cambio necesario en la atención del tema por parte de las instituciones, pacientes y personal médico y odontológico.
De esta manera, una herramienta indispensable para alcanzar la salud oral en las personas con la Condición Celíaca es el conocimiento que se tiene sobre la condición que se presenta, todo lo que involucra y la toma de decisiones que se realice debe ser siempre en equipo incluyendo odontólogos y médicos.
• www celiacosvenezuela org ve
• Instagram: @celiacosdevzla
• www celiaco org ar
• www.celiacos.org
• Aine L Coeliac-type permanent-tooth enamel defects Annals of Medicine 1996; 28(1): 9–12
• Aine L, Maki M, Collin P, Keyrilainen O Dental enamel defects in celiac disease
J Oral Pathol Med. 1990; 19(6):241–5. doi:10.1111/j.16000714.1990.tb00834.x.
[PubMed: 2401959]
• Avşar A, Kalayci A The presence and distribution of dental enamel defects and caries in children with celiac disease Turkish Journal of Pediatrics 2008; 50(1): 45–50
• Bodé A, Gudmand-Hoyer E. Symtoms and haematologic features in consecutive adult coeliac disease. Scan J Gastroenterol 1996; 31:54-60
• Cantekin K, Arslan D, Delikan E Presence and distribution of dental enamel defects, recurrent aphthous lesions and dental caries in children with celiac disease Pak J Med Sci 2015; 31(3): 606-609
• Cruz I Manifestações orais em pacientes com doença celíaca 72 f
Dissertação (Mestrado em Odontologia) - Programa de Pós-graduação em Odontologia, Universidade Federal do Paraná, Curitiba. 2016.
• De Carvalho F, et al Oral aspects in celiac disease children: clinical and dental enamel chemical evaluation Oral Surgery, Oral Medicine, Oral Pathology and Oral Radiology 2015; 119(6): 636–643
• Diagnóstico precoz de la enfermedad Celíaca Ministerio de Sanidad y Consumo. España. 2008
• Fernández L, Torre N, Velayos B, Nocito M, González J, Garrote J Problemas de diagnóstico en la enfermedad celíaca del adulto Rev Esp Enferm Dig [Internet]. 2008; [citado 28 agosto 2018]; 100 (1): 24-28. Disponible en: http://scielo.isciii.es/pdf/diges/v100n1/original4.pdf.
• Karen Maggiorani, Ángel Rincón Manifestaciones clínicas bucales de la enfermedad Celíaca Acta Bioclínica 2017; 13(6):128-160
• Krzywicka B, Herman K, Kowalczyk-Zając M, Pytrus T Celiac disease and its impact on the oral health status - review of the literature Adv Clin Exp Med 2014; 23:675-681.
• Littlewood JM. Coeliac disease in children. Baillière´ś Clin Gastroenterol. 1970; 59:461-3
• Macho V, Conejo A, Veloso D, De Andrade D Oral Manifestations in Pediatric Patients with Coeliac Disease – A Review Article The Open Dentistry Journal 2017; 11(1):539-545
• Mohsin Rashid, Marion Zarkadas, Alexandra Anca, Hardy Limeback. Oral Manifestations of Celiac Disease: A Clinical Guide for Dentists. J Can Dent Assoc 2011; 77:b39
• Priovolou CH, Vanderas AP, Papagiannoulis L A comparative study on the prevalence of enamel defects and dental caries in children and adolescents with and without coeliac disease Eur J Paediatr Dent 2004; 5(2):102–6
• Rashid M, Zarkadas M, Anca A, Limeback H. Oral Manifestations of Celiac Disease: A Clinical Guide for Dentists J Can Dent Assoc 2011; 77:1
• Sierra Perez E Epidemiología de la enfermedad celiaca Pediatrika 2003; 23(4):141-144
• Souza DS, da Consolacao Soares ME, Rezende VS, de Lacerda Dantas PC, Galvao EL, Falci SGM. Association between developmental defects of enamel and celiac disease: A meta-analysis. Arch Oral Biol. 2017.
• Wierink CD, van Diermen DE, Aartman IH, Heymans HS Dental enamel defects in children with coeliac disease Int J Paediatr Dent 2007; 17(3):163–8

Cuando enseñamos lo que sabemos y damos lo mejor de nosotros para el bienestar de todos, estamos muy por encima de muchos.
Anaayram García