




![]()





Prof. Dr. Adi A. Garfunkel
Medicină Orală
Universitatea Ebraică și Hadassah Ierusalim, Israel
COLEGIUL ŞTIINŢIFIC NAŢIONAL
Conf. Dr. Lidia Boboc
Prof. Dr. Dorin Bratu
Dr. Alexandru Brezoescu, Președinte CMD București
Prof. Dr. Dorin Borzea
Șef Lucr. Dr. Lucian Chirilă
Prof. Dr. M. V. Constantinescu
Prof. Dr. Bogdan Dimitriu
Prof. Dr. Horia Dumitriu
Conf. Dr. Anca Silvia Dumitriu
Prof. Dr. Norina Forna, Decan
Prof. Dr. Emilian Hutu
Dr. Doron Haim
Prof. Dr. Andrei Iliescu, Membru titular Academia Științe Medicale
Prof. Dr. Rodica Luca
Prof. Dr. Augustin Traian Mihai
Prof. Dr. Alexandru Monea
Șef Lucr. Dr. Ion Nicolescu
Prof. Dr. Ion Pătrașcu
Şef Lucr. Dr. Stana Păunică
Prof. Dr. Dragoş Stanciu
Prof. Dr. Mircea Surpățeanu
Prof. Dr. Șerban Țovaru
Prof. Dr. Constantin Vârlan
Asist. Univ. Dr. Anca Vereanu
PUBLICITATE
0723.640.333, 0722.359.753
office@dentalnews.ro
MARKETING: Dental News
Actualități Stomatologice este o publicație editată sub egida
Asociația:
Societatea de Parodontologie din România
COLEGIUL ŞTIINŢIFIC INTERNAŢIONAL
Prof. Dr. Louis F. Rose
Editor Șef: Compendium, SUA
Prof. Dr. Morton Amsterdam, SUA
Prof. Dr. Meyer Fitoussi, Franța
Prof. Dr. Michael Glick, Editor Șef: JADA, SUA
Prof. Dr. Dan Nathanson, SUA
Prof. Dr. Hideo Ogura, Japonia
Prof. Dr. Harold W. Preiskel, Anglia
Prof. Dr. André P. Saadoun, Franța
EDITOR ŞTIINŢIFIC ECHIPA EDITORIALĂ
EDITOR CONSULTANT
Dr. Tiberiu Gh. Silaghi, medic primar
EDITOR EXECUTIV
Dr. Bianca Zaharia, medic specialist
EDITOR ASISTENT
Dr. Ana-Maria Herța, medic specialist
Asist. Univ. Dr. Blanka Petcu
Dr. Miruna Munteanu, medic specialist
PREŞEDINTE ONORIFIC
Prof. Dr. Nicolae Gănuță
Decan-Emerit Facultatea de Stomatologie
București, Clinica de Chirurgie OMF
Membru al Academiei de Științe Medicale
HONORIFIC PRESIDENT
Prof. Dr. D. Walter Cohen
Președinte-Emerit Colegiul Med. Pennsylvania
Decan-Emerit Univ. Pennsylvania, SUA
Editor Șef Emerit: Compendium, SUA
Revista se distribuie GRATUIT. Dacă doriți să primiți revista “Actualități Stomatologice”, dacă v-ați schimbat adresa sau dacă, din diferite motive, deși sunteți înregistrat, nu ați primit-o, vă rugăm să ne contactați la: 0722.359.753 sau pe e-mail: inregistrare@actualitatistomatologice.ro
CP.CE-CP.16, București
SECRETARĂ DE REDACŢIE: Mihaela Ionescu 0722.359.753, 021.746.67.24
www.dentalnews.ro www.actualitatistomatologice.ro
ISSN: 1583-6010
TP nr. 103 / P / 4056 / 2008
Trimestrial
OTOPENI - Județul Ilfov, Str. Ardealului nr. 9 F, Tel: 021.350.67.58, Fax: 021.350.67.59
CONSTANȚA - Județul Constanța, Str. I. C. Brătianu nr. 131, Tel/Fax: 0241.543.600, Tel/Fax 0241.543.948; Str. Sabinelor nr.3 Tel:0241.613.682, Fax:0241.511.590
E-mail: office@dacris.net www.dacris.net
DESIGN
Concept grafic, DTP & Prepress: Cătălin Cristescu catalin@kreatif.ro Poșta Română



ORAL-B ® TRIUMPH ™ 5000 CU SMARTGUIDE ™ WIRELESS
CEA MAI AVANSATĂ TEHNOLOGIE ORAL-B DE ÎNDEPĂRTARE A PLĂCII BACTERIENE
INCLUDE:
• 7 CAPETE DE REZERVĂ
• DVD EDUCAŢIONAL
PERIUŢA DE DINŢI PENTRU TESTARE PROFESIONALĂ








ORAL-B ® TRIUMPH ™ 5000
CU SMARTGUIDE ™ WIRELESS
CEA MAI AVANSATĂ TEHNOLOGIE ORAL-B DE ÎNDEPĂRTARE A PLĂCII BACTERIENE
TESTARE








GadaGroup – Str. Barbu Vacarescu 241A, Bucuresti; Tel: 021 317 21 02; office@gadagroup.ro
^ Helios Medical & Dental – Bd. Iuliu Maniu 6, Bucuresti; Tel: 021 408 71 24; office@heliosmedical.ro
Medident Exim – Str. Traian 109, Brasov; Tel: 0268 315 544; office@medidentexim.ro
Tehnical Dent – Str. Stirbei Voda 72, Bucuresti; Tel/Fax: 021 311 86 48; office@tehnicaldent.ro Terra Dent – Str. Constantin Noica 136, Bucuresti; Tel: 021 316 41 83; office@terradent.ro
Dealeri autorizati KaVo: , , , , , , ,
Cereti detalii despre ofertele speciale de la dealerii KaVo!




www.demiultra.eu
Sistem de fotopolimerizare cu supercondensator cu LED-uri
Supercondensatorul revoluţionar U-40™
Se încarcă la capacitatea completă în doar 40 de secunde, extrem de convenabil.
Tehnologie proprie C.U.R.E.™
Asigură fotopolimerizarea uniformă a compozitului în adâncime la temperaturi joase conform standardelor industriei pentru optimizarea rezultatelor clinice.
Nu schimbaţi bateriile, schimbaţi lămpile de fotopolimerizare.
Nr. Art 35664
Conţine: 1 piesă de mână, 1 ghid luminos ataşat de 8 mm, 1 doc de încărcare cu radiometru, 1 sursă de alimentare, 1 ecran fotoprotector, 1 pachet de discuri pentru testarea durităţii, 1 pachet de 5 pungi de protecţie de unică folosinţă, 1 IFU
©2013 Kerr Corporation Kerr | Reprezentanța Comercială: Belvedere Office Building – Baba Novac, 19 A, Sector 3, Bucureşti, România Telefon: + 40 21 315.45.49, Fax: + 40 21 315.45.48, www.kerrdental.eu
În fiecare lună găsiți noi articole doar online pe site-ul revistei www.dentalnews.ro și în cadrul aplicației pentru tablete.
Afacerea social media
EDITORIAL

THE POWER OF PREVENTION
O nouă metodă pentru prevenirea cariilor
BUSINESS of DENTISTRY EVENT
MANAGEMENT IN DENTISTRY


SPECIAL
IDT / 30 noiembrie - 3 decembrie, NEW YORK, USA 14
NEWS IN CARIES PREVENTION
PAPILLA PRESERVATION
O metodă pentru prezervarea papilei

IMPLANTS
implanturilor

ESTHETIC DENTISTRY

CURRENT REVIEW
INJECTION NEEDLES
Acele hipodermice în stomatologie
20-22 noiembrie 2014, Romexpo, Bucureşti
Revista Actualităţi Stomatologice este creditată oficial cu 10 EMC în anul 2014. Află mai multe detalii pe www.dentalnews.ro/EMC.
18
ȘCOALA DENTAL OFFICE MANAGERS
în România

54

PRACTICAL APPLICATION CARIES PREVENTION
Produse fluorurate pentru tineri cu risc carios crescut
ESSENTIALS
PERIODONTAL HEALTH
Soluții de clătire orală

Conţinutul materialelor publicitare şi al articolelor promoţionale aparţine firmelor producătoare importatoare sau distribuitoare ale produselor respective.
88 46

IMPLANT DESIGN
Mucozita peri-implantară

CASE STUDY
MINIMAL NO-PREPARATION RESTORATIONS
Abordare aditivă minim invazivă
62

CONTINUING EDUCATION

36
ABUTMENT DESIGN
CLINICAL TECHNIQUE
94
Bontul implantar - criterii de management
DIRECT BONDING Echilibrarea ocluzală aditivă
24 12
SOCIETATEA DENTARĂ ROMÂNĂ 20-22 noiembrie 2014, Romexpo, Bucureşti
CLINICAL DENTAL UPDATE
POSTERIOR COMPOSITES
58
IMMEDIATE FUNCTIONAL LOADING
Încărcarea funcţională imediată avansată RESTORATIVE DENTISTRY
Compozit nanohibrid de la VOCO
Răspunsurile corecte la articolele de EC din numărul trecut:
“Consideraţii ocluzale pentru restaurările implantare”

CONGRESS QUIZ
KOIS CENTER CASE
Continuing Education
82
44






Prof. Adi A. GARFUNKEL adigarfunkel@md.huji.ac.il
storia stomatologiei poate fi descrisă în paşi evolutivi, urmaţi de schimbări revoluţionare, asemănător legilor biologiei. Exemplele sunt numeroase, câteva dintre cele mai relevante regăsindu-se în subiectele articolelor pe care vi le propun în acest număr al revistei.
Fluorizarea apei este rezultatul cercetărilor axate pe tema generală a sănătăţii publice, cu accent pe prevenirea cariilor, în special la copii. Impactul acestui "pas" poate fi comparat cu iniţierea "spălatului mâinilor" la medici (în 1847!). Schimbarea paradigmei provine din impactul avut asupra sănătăţii publice. Pe de altă parte, inovaţia apei plate naturale anulează câştigurile oferite de fluorizare!
Materialele compozite reprezintă un alt exemplu de proces revoluţionar al paradigmelor. Restaurările din silicat şi amalgam sunt aproape dispărute, în ciuda anumitor calităţi ce le caracterizează. Evoluţia spre compozite performante a fost facilitată de cercetările aprofundate ale proprietăţilor lor fizice, inovaţiile din acest domeniu avansând în paralel cu doleanţele estetice ale societăţii moderne.
Implantologia constituie, desigur, cea mai mare paradigmă a istoriei terapiei stomatologice. Schimbările în timp sunt radicale: de la formele lamă si subperiostale din anii '30, apoi la recunoaşterea conceptului de osteointegrare şi al anchilozei funcţionale (1960), implantele devin biocompatibile, tehnicile chirurgicale şi restauratoare explodează iar succesul terapiei implantare poate fi predictibil şi superior tratamentelor tradiţionale. De asemenea, suprafaţa implanturilor, conexiunile cu suprastructurile protetice şi protocoalele de încărcare evoluează continuu.
În condiţiile în care diagnosticul, planificarea terapeutică, metodele chirurgicale, abordarea şi tipurile de restaurare au avansat într-atât de mult, se mai regăsesc oare, fie şi parţial, conceptele de bază în contextul actual?
Vom continua să salvăm dinţi cu suport osos limitat sau îi înlocuim direct cu implante?
Aceeaşi dilemă apare şi când ne referim la alegerea (re)intervenţiei endodontice.

Vom continua să menţinem restaurările sau le vom "înşuruba"?
Acţionăm singuri sau în cadrul unei echipe interdisciplinare?
Cum anticipăm succesul pe termen lung al uneia sau altei opţiuni terapeutice?
Răspunsurile sunt desigur complexe, unele poate chiar într-un sens filozofic. Conţinutul acestui număr al revistei oferă, pe de o parte, soluţii pentru cazuri clinice de rutină sau, dimpotrivă, propune metode inovatoare, surprinde poate cu rezolvări controversate dar, cel mai important, prin întrebările subliminale ne provoacă să fim up-todate în profesie. Astăzi avem de unde alege!
Pacienţii noştri contează pe noi pentru decizii bazate, argumentate şi fondate. Îndemnul meu este ca, în primul rând, să întrebaţi. O întrebare inteligentă şi un diagnostic corect constituie 50% din tratament. Sunteţi de acord?
Inovaţiile de astăzi vor stabili paradigmele tratamentelor de mâine.
Cu prietenie, Adi A. Garfunkel
Conform art. 11 alin. 3 din Regulamentul EMC al Colegiului Medicilor Dentişti din România, publicat în Monitorul Oficial al României nr. 900/19.12.2011 (acordul CMDR nr. 1761/24.10.2013).



Accesaţi www.dentalnews.ro/EMC pentru informaţii complete despre cum puteţi obţine punctele de educaţie medicală continuă pe anul în curs sau sunaţi la 0729 922 604












Presented at Exhibitor Booths
Hands-on Classrooms
KOLs from the Dental Industry
WITH PRESENTATIONS* FROM:
Sunday - Nov. 30
Kenneth A. Malament, DDS, & Thomas Sing, MDT Today’s Restorative Options: Combining Function and Artistry with Prosthetic Principles
Monday - Dec. 1
Lily T. Garcia, DDS, & Robert Kreyer, CDT New Relevancies in Removable Prosthetics
Tuesday - Dec 2
Vincent Celenza, DMD, & Simon Wong, MDT Communication Essentials for the Collaborative Dental Team
Wednesday - Dec. 3
Wesley S. Mullins, DDS, & Robert Slominski
The Complete Digital Implant Workflow—From Diagnosis to Delivery
David S. Hornbrook, DDS, & Peter Pizzi, CDT, MDT Esthetics, Implants, and Technology: Restorative Solutions for Today and Tomorrow
Gordon J. Christensen, DDS, MSD, PhD Top 10 Trends Impacting Tomorrow’s Dentist/Technician Team
Geo rey W. Sheen, DDS, MS, & Shanda Robb Utilization of CAD/CAM Technology with Implant Restorations: A Case for Custom Abutments
Steven J. Fuqua, DDS, MS, & Tony Bulley, CDT, RDT Restoring Divergent Implants with Straumann’s Screw-Retained Abutments and CAD/CAM ScrewRetained Bar Solutions















































ICX – templant – este un sistem de implante produs in Germania care se afla pe locul IV dupa cantitatea de vanzari in aceasta tara in acest moment.
Este sistemul care va asigura un rezultat de lunga durata pentru pacientii dvs la un raport avantajos calitate-pret, ceea ce reprezinta un instrument foarte eficient de marketing pentru practica dvs. deoarece pacientii multumiti va vor aduce noi pacienti.
Pe langa aceasta, sistemul ICX, incepand cu anul 2010, a implementat un sistem propriu CAD/CAM System
ICX – denta5 pentru cele mai inalte cerinte estetice si functionale. Cu ajutorul acestuia putem crea bonturi individuale pentru pacientii dvs.
Compania ICX- templant, incepand cu anul 2013, va ofera posibilitatea de analiza si planificare 3D pana la cele mai mici detalii de pozitionare a implantelor precum si confectionarea sabloanelor chirurgicale individuale pentru trusa chirurgicala “ICX- Safety Guide drill system” cu ajutorul programului ICX- Magellan.
DISTRIBUITOR UNIC IN ROMANIA : SC STEMPLANT DENT SRL
e-mail: stemplantdent@yahoo.com www.medentis.de telefon: 0753.064.786
































… natural, nice teeth because of







































ental Office Managers este prima asociaţie din România care specializează şi reuneşte manageri dedicaţi clinicilor şi cabinetelor dentare. Având sprijinul membrilor American Association of Dental Office Managers, cea mai mare comunitate pentru manageri de clinici dentare la nivel mondial, cu o tradiţie de peste 10 ani, ADOM România asigură suport şi knowhow oricui îşi doreşte să ofere servicii stomatologice la standarde internaţionale.
Alege să fii din nou medic stomatolog!
Nu contabil, nu specialist în marketing şi nici manager de resurse umare… ADOM, prin intermediul Şcolii Dental Office Managers, califică şi certifică manageri pentru clinici dentare care să îţi ofere suportul necesar dezvoltării cabinetului sau clinicii tale la standarde internaţionale.
Dental Office Managerul (DOM) se ocupă de toate aspectele administrative ale business-ului tău şi, astfel, te ajută să:
• îţi concentrezi toată atenţia asupra actului medical;
• ai timpul necesar pentru a te dezvolta profesional, fără să îţi neglijezi viaţa personală;
• creşti baza de date a pacienţilor, numărul tratamentelor acceptate de către aceştia şi încasările;
• profesezi într-un mediu performant, în continuă dezvoltare.
Şcoala Dental Office Managers, o necesitate pentru medicii stomatologi!
Concurenţa în domeniul serviciilor stomatologice este din ce în ce mai vizibilă, iar comportamentul pacientului se schimbă odată cu impunerea unor noi standarde de calitate în stomatologie de către marile clinici dentare. Pentru a putea face faţă concurenţei şi a evita eşecul, prezenţa unui Dental Office Manager devine esenţială într-o clinică dentară, indiferent de dimensiunile acesteia.
De aceea, în anul 2013 ADOM a lansat în România prima şcoală care pregăteşte Dental Office Managers din rândul personalului non-medical al cabinetelor şi clinicilor de profil.
DOM în doar 3 luni, fără întreruperea activităţii profesionale!
Într-un timp scurt, şcoala pune la dispoziţia viitorilor Dental Office Managers toate instrumentele necesare unui management perfor-
“Ne diferenţiază faptul că înţelegem cât de mult contează pentru tine, ca medic, să ai confortul de a te concentra exclusiv pe actul medical; confortul de a profesa într-un mediu performant, fără să îţi împarţi timpul între scaunul stomatologic şi problemele administrative.
De aceea, Dental Office Managerul este sprijinul de care ai nevoie: un manager performant, pregătit de o echipă de specialişti în managementul clinicilor dentare!”
Dr. Oana Taban Preşedinte ADOM România
mant, pornind de la sarcini simple precum monitorizarea comunicării cu pacientul şi eficientizarea programărilor şi continuând cu aspectele financiare, de marketing, resurse umane, vânzări, negociere şi management.
Ai cel puţin 3 motive de a alege Şcoala DOM!
1. Fie că alegi să fii cursant, sau înscrii un reprezentant al clinicii, primești 9 sisteme la cheie pe care să le implementezi imediat în clinica ta
2. Faci echipă cu viitorul DOM din clinica ta şi astfel reuşiţi să dezvoltaţi eficient strategia de creştere a cabinetului sau clinicii.
3. Înveţi cum să controlezi activitatea unui DOM şi care sunt limitele sale de autoritate. ¤

The Business of Social Media by Edward J. Zuckerberg, DDS, FAGD. Originally published in Compendium of Continuing Education in Dentistry 35(8) Sept 2014. Copyright © 2014 to AEGIS Communications. All rights reserved.

Despre autor
PEdward J. Zuckerberg, DDS, FAGD entru cabinetul dentar, marketingul poate fi împărţit în esenţă în două categorii. Marketingul intern se referă la eforturile depuse pentru menţinerea pacienturii existente şi încurajarea acelor pacienţi care nu doar că utilizează tot mai mult serviciile de bază, ci consumă şi o gamă mai largă de servicii.
Marketingul extern descrie eforturile depuse pentru a obţine pacienţi noi.
Suprapunerea celor două componente poate şi trebuie să survină, pentru că pacienţii existenţi reprezintă sursa cea mai valoroasă pentru recomandarea noilor pacienţi. Social media serveşte ca metodă ideală pentru obţinerea ambelor obiective.
O definiţie largă a social media ar include nu doar paginile populare ca Facebook, Twitter, etc ci orice cale de comunicare cu pacienţii existenţi şi potenţialii pacienţi, care nu exista în urmă cu 15 ani.
Aceasta include serviciile de memento pentru programări care folosesc e-mailul şi mesajele text SMS, alături de companiile care ajută medicii dentişti să gestioneze reputaţia lor online şi să încurajeze comentariile.
Autorul, Dr. Zuckerberg conferențiază internaţional despre integrarea tehnologiei şi social media marketing pentru medicii dentişti, alături de tratarea pacienţilor în California.
Tatăl fondatorului Facebook, Mark Zuckerberg, întreţine pagina de Facebook, www. facebook.com/painlesssocialmedia, cu sfaturi pentru promovarea cabinetelor dentare utilizând social media, precum şi o pagină pentru proprii săi pacienţi, www. facebook.com/painlessdrz.
În evaluarea costurilor aferente prezenţei de calitate a social media pentru un cabinet stomatologic se începe cu personalul.
Implementarea unui program de succes necesită timp semnificativ alocat din partea personalului şi poate implica angajări suplimentare, cu scopul principal de social media când se ocupă de pacienţii existenţi şi cei noi.
Bugetele desemnate anterior pentru reclamele tipărite pot fi suplimentate prin abonamente la servicii de reamintire a programărilor şi pentru asistenţă în managementul reputaţiei.
Se recomandă alocarea unui buget lunar exclusiv pentru aceste servicii. Unele cabinete pot gestiona pe cont propriu actualizarea conţinutului pe propria pagină de Facebook, dar în
cazul cabinetelor care nu dispun de timp sau de creativitate pentru a posta conţinut deosebit în mod constant, diferite companii oferă asemenea servicii contra unei taxe lunare. O altă cheltuială de considerat este reprezentată de modificările de programe necesare pentru actualizarea paginii web a cabinetului, pentru a integra link-uri spre site-urile social media şi pentru a încuraja pacienţii să posteze recenzii (posibil) pozitive. Deşi multe cabinete au personal care poate naviga cu uşurinţă pe Facebook şi pot posta imagini, noutăţi, concursuri, promoţii, etc., puţine deţin în cadrul echipei un programator care să poată efectua modificările necesare în cadrul paginii web. Costurile de tipărire pentru susţinerea prezenţei social media trebuie luate, de asemenea, în considerare. Cărţile de vizită şi alte materiale tipărite trebuie refăcute pentru a include suplimentar adresa URL pentru pagina Facebook a cabinetului. În tot cabinetul ar trebui plasate semne care să le reamintească pacienţilor să dea "like" la cabinet pe Facebook. Concursurile, cadourile (de la o periuţă electrică la un iPad) şi promoţii de înregistrare se pot folosi ca stimulente pentru a încuraja implicarea pe pagina de Facebook. Se iau în considerare şi costurile aferente cadourilor din cadrul acestor promoţii. Cu cât este mai bun stimulentul, cu atât mai marcat este răspunsul dorit.
Ultima cheltuială semnificativă o reprezintă costul real de publicitate pentru dezvoltarea şi menţinerea unei pagini Facebook de succes pentru cabinet. Deşi Facebook este o pagină gratuită şi nu este necesară nicio taxă pentru configurarea unei pagini sau pentru a posta conţinut nelimitat pe o pagină, realitatea este că există două obiective pe care o pagină de Facebook reuşită trebuie să le atingă. Primul este să obţină cât mai mulţi fani sau cât mai multe "like"-uri posibile pentru pagină. De exemplu, dacă un cabinet are 2000 de pacienţi activi se poate

presupune că cel puţin 1200 dintre ei sunt pe Facebook. Obţinerea jumătăţii din această cifră-ţintă ar fi excelentă; ar atrage, de asemenea, persoane care încă nu sunt pacienţi ai cabinetului şi le-ar încuraja să dea "like" la pagină. Aceasta va necesita o combinaţie de promovare în cabinet prin semne şi carduri şi prin reclamele directe pe Facebook pentru a obţine noi prieteni pentru pagină. Promovarea paginii poate fi întreruptă în orice moment în care se atinge numărul dorit de prieteni, deşi cabinetul ar trebui să se străduiască în permanenţă să dobândească cât mai mulţi fani. Cel de-al doilea obiectiv ar consta în posibilitatea ca fanii să vizualizeze conţinutul cabinetului. Panoul de ştiri Facebook a devenit un spaţiu foarte competitiv, deoarece creşterea paginii înseamnă că tot mai multe persoane sunt pe Facebook şi mai multe afaceri nu doar că există pe Facebook, ci îşi fac cunoscută prezenţa pe pagină printr-un
marketing agresiv. Panoul de ştiri este pagina de start implicită pe Facebook, unde utilizatorii petrec majoritatea timpului lor pe site, citind despre prietenii lor sau brandurile îndrăgite. Fără stimulare (contra cost), actualizarea postărilor unui cabinet se poate anticipa să atingă aproximativ 10% din fanii săi. Pentru o taxă relativ mică pentru fiecare actualizare, mesajul poate ajunge nu doar la un procentaj mai mare din fanii paginii, ci şi la prietenii respectivilor fani, purtând un cuvânt implicit de recomandare. Prin urmare, cabinetul ar trebui să deţină un buget anual pentru reclamă.
Evaluarea succesului monetar al unei campanii social media poate fi dificilă. Beneficiile sunt cumulative şi greu de măsurat. Facebook oferă analize utile, dar sarcina revine cabinetelor individuale să evalueze randamentul propriilor eforturi depuse în cadrul social media. ¤
Asist. Univ. Dr. CRISTIAN FUNIERU
UMF Carol Davila, Bucureşti, Disciplina de Prevenţie Oro-Dentară, Facultatea de Medicină Dentară

Pe principiul ”întotdeauna este loc pentru mai bine”, de curând se încearcă folosirea unui mecanism complet nou în profilaxie, care nu intră în competiție cu fluorul și efectele sale benefice, ci doar pune umărul alături de el în scopul obţinerii unei prevenţii maxime a cariei dentare.
Este vorba de asocierea arginină + un compus insolubil de calciu. Arginina este un aminoacid semi-esențial care îndeplinește multiple roluri în organism, de la reglarea tonusului vascular, creșterea imunocompetenței unor celule ale sistemului imunitar, la sinteza ureei din ficat, regenerarea ficatului și susținerea funcțiilor acestuia. Într-o mică măsură acest aminoacid se găsește și în salivă, unde printr-o serie de reacții metabolice se transformă în amoniac.
Acesta este și mecanismul care stă la baza acestei noi metode preventive, și anume de a accelera acest lanț de reacții prin aducerea unui surplus de arginină și a produce o cantitate


mai mare de amoniac, care are ca și consecință directă creșterea imediată a pH-ului local.
Această degradare a argininei în amoniac este făcută de așa-numitele bacterii arginolitice, cum este de exemplu Streptococul sanguis. Consecința creșterii cantității de amoniac este creșterea pH-ului, creând astfel un mediu impropriu pentru principalele bacterii implicate în patologia cariei dentare: Streptococul mutans sau lactobacilii. Efectul de creștere a pH-ului și asocierea cu un compus insolubil de calciu (de exemplu: carbonatul de calciu) contribuie pe deplin la remineralizarea leziunilor carioase incipiente, efect paralel cu cel al fluorului. Dacă la acest mecanism mai adăugăm și un compus al fluorului, atunci nu facem decât să obținem un efect profilactic maxim.
Orice leziune incipientă de carie se găseşte într-un echilibru trecând succesiv prin procese repetate de demineralizare – remineralizare. Atunci când acest
Fluorul este, după cum se știe, cel mai răspândit și eficace element utilizat în prevenția cariei dentare. Folosit în aproape toate pastele de dinți, în geluri, soluții, ape de gură sau chiar impregnat în unele ațe dentare, fluorul își exercită rolul său cariopreventiv la nivel local, în special prin constituirea stratului protector de fluorură de calciu şi prin remineralizarea leziunilor incipiente.
echilibru se rupe şi procesele de demineralizare iau amploare în detrimentul celor de remineralizare, apare lipsa de substanţă iar leziunea incipientă se tranformă într-una cavitară.
Această rupere a echilibrului este provocată de tulburări de flux salivar, igienă precară sau aport crescut de hidrocarbonaţi în alimentaţie. Procesele de remineralizare în schimb, sunt susţinute de sistemele tampon salivare, substanţele antibacteriene folosite în igiena orală, fluor şi de bacteriile producătoare de baze (care cresc nivelul pH-ului). Practic, această asociere de arginină, carbonat de calciu şi fluor sub diverse forme intervine şi ea în echilibrul în care se află majoritatea leziunilor incipente de carie înclinând balanţa către procesele de remineralizare.
Nu pot spune decât că acest mecanism aduce un real progres în prevenţia cariei dentare, lucru care nu este susţinut doar de mine ci şi de numeroasele studii făcute în toată lumea, din SUA şi până în China sau Thailanda. ¤


Dental Implants’ Future: The Need for a Team Approach by Donald S. Clem, DDS, Guest Editor.
Originally published in Compendium of Continuing Education in Dentistry 35(8) Sept 2014. Copyright © 2014 to AEGIS Communications. All rights reserved.

Despre autor
Donald S. Clem, DDS Adjunct Clinical Professor, Univ. of Texas San Antonio, San Antonio, Texas; Private Practice, specializing in Periodontics and Dental Implants, Fullerton, California
ntroduse în SUA la începutul anilor 1980, implanturile osteointegrate reprezintă unul dintre cele mai semnificative progrese realizate în stomatologie. Deşi au devenit previzibile, implanturile sunt controversate în ceea ce priveşte protocoalele de tratament, pregătirea, dezvoltarea locului de implantare şi menţinerea pe termen lung. Unele concepte au rămas neschimbate de-a lungul celor peste 30 ani, altele s-au modificat drastic dar parte din previziunile clinice au rămas neîmplinite. Un lucru a rămas însă constant: succesul în timp al implanturilor este corelat cu abordarea în echipă, formată din chirurgi implantologi şi dentişti restauratori bine pregătiţi, care utilizează cele mai avansate modalităţi terapeutice. Medicul chirurg/dentistul restaurator poate să fie una şi aceeaşi persoană. Totuşi, reprezintă o sarcină descurajantă să menţii o gamă largă de expertiză deopotrivă în sfera chirurgicală şi restauratoare a implanturilor.
Este o expresie care se învaţă rapid când vine vorba de stomatologia implantară: "Implanturile sunt simple…
Succesul pe termen lung al implanturilor este corelat cu implantologii şi dentiştii restauratori bine pregătiţi. Dentiştii generalişti sunt provocaţi să identifice timpuriu în cadrul diagnosticului pacienţii expuşi celui mai mare risc pentru complicaţii şi să colaboreze cu specialişti în formularea planurilor de tratament.
până când nu sunt." Clinicianul ar trebui să abordeze stomatologia pe implanturi cu prudenţă. Rezultatul restaurator, dintr-o perspectivă estetică şi funcţională, este dependent în mare măsură de performanţa chirurgicală. Deşi au devenit realizabile rate crescute de integrare, integrarea în sine ca şi obiectiv nu ar trebui să constituie standardul pentru succes. În special în zona estetică, cei mai mulţi clinicieni au asistat la eşecuri teribile în reconstrucţia unui zâmbet, în timp ce implantul în sine era considerat "reuşit".
Abordarea în echipă, cu chirurgul implantolog care colaborează cu colegii restauratori, asigură pacienţilor cele mai bune abilităţi pe care fiecare membru al echipei le poate oferi în cadrul tratamentului.
În plus, educaţia specială (n.r. în SUA) nu urmăreşte doar să antreneze, ci progresele majore din domeniul stomatologiei implantare, chirurgicale şi restauratoare, provin din protocoalele de cercetare ale acelui sistem, cu o abordare bazată pe dovezi. Acest sistem aduce progrese pentru întreaga echipă dentară.










Pentru unii, terapia cu implanturi s-a distilat sub forma unei abordări universale potrivit căreia se frezează un lăcaş în os şi se plasează un implant, apoi se ia o amprentă şi se cimentează o coroană: o abordare simplă până când desigur ea "nu este". Acesta este motivul cel mai important pentru care abordarea în echipă ar trebui să fie accentuată în anii următori.
De asemenea, populaţia de pacienţi devine tot mai complexă, în timp ce protocoalele de tratament devin mai simplificate. În acelaşi timp, dentiştii generalişti continuă să îşi intensifice participarea în stomatologia chirurgicală şi restauratoare deopotrivă. Este aceasta o contradicţie?
Răspunsul ar confirma că evaluarea riscurilor, aşa cum se întâmplă şi în alte domenii de asistenţă medicală, ghidează îngrijirea stomatologică şi relaţia dintre medicul dentist generalist şi specialişti. Pacienţii vor avea o echipă de dentişti, la fel cum au şi o echipă de medici generalişti. Provocarea pentru dentiştii generalişti va fi reprezentată de identificarea precoce în cadrul diagnosticului a acelor pacienţi cu cel mai mare risc pentru dezvoltarea complicaţiilor şi să colaboreze cu specialişti în elaborarea planurilor de tratament şi să le execute pentru beneficiul maxim al pacientului
EXTINDEREA PROTOCOALELOR DE TRATAMENT
Protocoalele de tratament au fost dezvoltate într-un mod ce a facilitat confortul şi controversa. De exemplu, în trecut, protocolul standard prevedea permiterea integrării implantului, cu menţinerea sa neîncărcată pentru 6 luni la maxilar şi 3 luni la mandibulă ca timp minim de vindecare. În prezent industria asistă la protocoale care permit încărcarea la 3 săptămâni şi, desigur imediat în momentul inserării implantului.
Ceea ce odată reprezenta protocol "universal" s-a transformat acum într-un număr de protocoale ce depind de forma implantului, suprafaţa şi validarea prin studii pro- şi retrospective. Clinicianul trebuie să procedeze cu
precauţie când încearcă să traducă informaţiile dintr-un sistem/protocol de implantare în altul, pentru că ele nu se pot transpune într-un mod universal. Conceptul de "universal" ţine de trecut. Astfel, în loc să fie inserate "acolo unde este os", implanturile se plasează într-o abordare ghidată de principiile restauratoare.
Cum pot clinicienii, prin experienţa chirurgicală, să insere implanturi pentru a permite aplicarea ulterioară a restaurărilor fixate cu şurub, prin cimentare şi a bonturilor protetice într-o manieră ce completează restaurarea, în loc să complice restaurarea? Industria a evoluat de la ghiduri chirurgicale la ghiduri generate de calculator şi până la chirurgia ghidată. Toate aceste opţiuni pentru ghidarea poziţiei implantului vor deveni probabil depăşite.
Cel mai important progres se constată în navigaţie - "neghidată"; adică abilitatea chirurgului de a ştii în timp real unde se localizează implantul în spaţiu în relaţie cu restaurarea propusă şi structurile vitale. Primele încercări cu aceste dispozitive s-au dovedit a fi dificile şi nepractice şi nu mai sunt disponibile în SUA. Cu toate acestea, tehnologia avansează şi va duce în curând la o adevărată navigaţie chirurgicală în timp real, cu feedback în ceea ce priveşte calitatea osului, poziţia şi localizarea dinţilor adiacenţi şi a structurilor vitale.
Protocoalele de încărcare au fost scurtate, în mare parte datorită tratamentelor de suprafaţă îmbunătăţite. Microsuprafeţele care promovează integrarea rapidă sunt responsabile pentru duratele mai scurte de integrare. Geometria implanturilor a favorizat stabilitatea sporită la inserţie pentru protocoalele cu încărcare imediată.
Vor exista probabil în viitor noile suprafeţe tratate cu tehnologie de nanosuprafaţă şi factori de creştere verosimil specifice pentru fiecare pacient. În prezent este în curs de cercetare explorarea predispoziţiei genetice a pacienţilor dpdv al potenţialului de
pierdere a dinţilor şi al abilităţii lor a forma os. Cu alte cuvinte, cândva poate deveni posibilă răsfoirea în codul genetic al pacientului pentru a evalua abilitatea sa individuală de forma os şi de a creşte cantitatea şi calitatea osului. Acest lucru, în cele din urmă, este viitorul neîmplinit ce urmează să se întâmple.
În prezent alte domenii, precum oncologia utilizează informaţia genetică nu doar pentru a identifica riscul neoplazic, ci şi pentru a individualiza tratamentul pe baza predispoziţiei genetice particulare a pacientului de a răspunde la un tratament specific. Acest concept de identificare a riscului şi a răspunsului la tratament poate fi important în identificarea acelor pacienţi mai susceptibili la distrugerea periimplantară. Abordarea actuală a stomatologiei cu privire la diagnostic, tratament şi întreţinere s-a realizat în mare parte prin evaluări observaţionale prin examen clinic şi imagistică modernă deopotrivă. În viitor, diagnosticul va fi condus în mare parte de testele de laborator/ genetice, la fel cum actualmente este condus de examenul clinic.
Bazat pe această informaţie, alegerea celui mai predictibil tratament poate, într-o bună zi, să includă modificarea potenţialului de vindecare al pacientului prin adăugarea de factori de creştere specifici şi alte elemente biologice pentru a îmbunătăţi o regiune, de altfel compromisă. Până atunci clinicienii se vor confrunta în permanenţă cu limitările şi complicaţiile rămase în mare parte nerezolvate.
În evoluţia sa, stomatologia trebuie să integreze noi modalităţi de gestionare a răspunsului gazdă, de fabricare cu uşurinţă şi precizie a restaurărilor şi să încorporeze protocoale de menţinere eficiente pentru a minimiza eşecul. Este dificil de imaginat modul în care una şi aceaşi persoană poate realiza toate aceste provocări la toţi pacienţii. În cele din urmă, evaluarea riscului va ghida tratamentul specific pacientului şi echipele specializate de clinicieni. ¤


Evaluating the Advances and Use of Hypodermic Needles in Dentistry by Sean G. Boynes, DMD. Originally published in Compendium of Continuing Education in Dentistry 35(9)October 2014. Copyright © 2014 to AEGIS Communications. All rights reserved.

Despre autor
Sean G. Boynes, DMD
acul într-atât de mult încât tind să se gândească mai întâi la ac atunci când iau în considerare îngrijirea dentară.
Acest articol oferă o recenzie a procesului de percepţie a durerii asociată cu injecţiile stomatologice. Analizează cele două tipuri de fibre nervoase senzoriale corelate cu durerea injecţiei şi dezbate proprietăţile acelor, precum şi complicaţiile şi evenimentele adverse.
MDirector of Dental Medicine CareSouth Carolina Society Hill,
SC
ulte teste medicale şi tratamente contemporane se bazează pe utilizarea acelor hipodermice. În medicina dentară, acul este folosit cel mai frecvent la administrarea anesteziei locale. Marea parte a populaţiei asociază vizita la dentist cu utilizarea unui ac şi are, de obicei, o conotaţie negativă (durere, anxietate şi nemulţumire).
S-au propus diferite tehnici de injectare şi metodologii pentru managementul pacienţilor cu scopul de a diminua teama pe care aceştia o pot manifesta vizavi de asistenţa stomatologică. Indiferent de aceste practici, majoritatea pacienţilor au încă o antipatie faţă de injecţie şi asociază stomatologia cu
Datorită capacităţii sale influente în perspectiva pacienţilor, clinicienii trebuie să înţeleagă progresele tehnologice, modificările tehnicilor şi percepţia asociată acului.
Utilizarea acului în practica stomatologică s-a schimbat pe măsura îmbunătăţirilor dobândite în privinţa eficienţei şi siguranţei. În prima jumătate a secolului XX, acele erau refolosibile şi necesitau ascuţire, ocazional fiind sterilizate în mod corespunzător. În anii 1960 s-au introdus acele din oţel inoxidabil de unică folosinţă, ducând la o acceptare colectivă din partea profesiei dentare.
O evaluare a acestora a arătat că cel mai frecvent se achiziţionau acele cu calibrul 30G, urmate de 27G şi 25G. Conform datelor cumulate, acele scurte erau achiziţionate mai des (62,1%) decât cele lungi (30,5%) sau cele extra scurte (7,5%).
Pentru a aprecia valoarea unui ac de calitate este important să se înţeleagă procesul de percepţie a durerii asociată cu injecţia dentară. Percepţia durerii apare de obicei ca rezultat al unor stimuli nocivi.
Acest proces al organismului se corelează cu dorinţa de supravieţuire. Reacţia de durere este un mod prin care corpul poate comunica creierului lezarea ţesutului sau posibilitatea de lezare a acestuia, în speranţa evitării sau eliminării pericolului. Stimulii nocivi din timpul injectării anestezicului ce poate produce distrugere tisulară sunt detectaţi de terminaţiile a două clase majore de fibre nervoase aferente nociceptive (pentru detectarea durerii).
N.B. Având în vedere că această secţiune reprezintă o recenzie, autorii prezintă o clasificare largă a fibrelor nervoase în locul numeroaselor subgrupe. Cele două fibre nervoase senzoriale principale asociate cu durerea de injectare sunt cele de tipul A şi C.



Compresor DUO




• Calitate unică a aerului medical: uscat, fără ulei, pur și igienic.
• Rezervor acoperit în interior cu un strat antibacterian.
• Membrane-drying Unit, tehnologie patentantă, care permite funcţionarea continuă fara condensare, 100%.
• Lider în dezvoltarea compresoarelor dentare, înca din 1956.
• Durabil, nivel de mentenanţă scăzut.
• Garanţie de până la 3 ani.

Pompa aspira ţ ie VS 600
• Pompe de aspiraţie cu sistem umed (VS) și uscat (V).
• Motoare de acţionare robuste, de înaltă calitate.
• Sisteme fiabile, operare continuă, lider încă din 1955.
• Putere mare de aspirare, de 300 l/min.
• O singură unitate pentru vacuum și separare a fluidelor, ceea ce asigură eficienţa costului, fiabilitatea operării și posibilitatea instalări într-un spaţiu restrâns (VS).
Dealeri autorizaţi Dürr Dental: Dental Partner’s Grup, Bucuresti, Str. Visinilor, Nr. 2, Ap. 1, 021/326.25.04; Dent Distribution, Bucuresti, Str. Logofat Tautu, Nr. 66, 021 308 57 51; GADA Group Romania, Bucuresti, Str. Barbu Vacarescu, Nr. 241A, 021 317 21 02; Medident International, Bucuresti, Str. JS Bach, Nr. 3, 021 231 02 14; Patifarm, Brasov, str. 13 Decembrie, Nr. 1, 0268 474 702; Prodenta, Arad, Str. Preparandei, Nr. 32, 0257 284 878; Plurifarm Dent, Bucuresti, Str. Prof. Dr. Gh. Marinescu, Nr. 43, 021 316 22 22; Terra Dent, Bucuresti, Str. Constantin Noica, Nr. 136, 021 316.41.83; TEMCO, Bucuresti, str. Calusei, Nr.69A, 021 252 4650;
Fibrele de tip A sunt uşor mielinizate, cu conducere relativ rapidă, ce răspund la durerea mecanică. Aceste fibre sunt propuse pentru a arbitra senzaţia preliminară a durerii, cu o calitate perceptivă ascuţită sau vie.
Fibrele de tip C sunt nemielinizate, cu conducere lentă, ce reacţionează mai degrabă la stimularea termică şi chimică. Ele mediază probabil răspunsul dureros ce apare după reacţia de durere preliminară, descrisă de obicei ca o senzaţie surdă, chinuitoare sau ca o arsură.
Atunci când se analizează o injecţie stomatologică, procesul de percepţie a durerii este descris cel mai bine prin intermediul unei recenzii cronologice (tabelul 1). Pe măsură ce acul penetrează mucoasa, fibrele de tip A comunică creierului stimulul iniţial de durere, de tip ascuţit. Majoritatea clinicienilor folosesc anestezic topic pentru a diminua ascuţimea acestui răspuns dureros. Totuşi, bizoul localizat la vârful acului este la fel de important în reducerea reacţiei de durere de tip A.
Odată ce acul se situează în aria de injectare, soluţia anestezică este depozitată pentru a bloca senzaţia de durere, prin împiedicarea propagării impulsurilor nervoase. Depozitarea soluţiei în ţesut se poate asocia cu o reacţie de durere, descrisă adesea ca arsură sau durere sâcâitoare. Acest răspuns dureros implică fibrele nervoase de tip A, datorită expansiunii ţesuturilor şi pe cele de tip C deopotrivă, datorită compoziţiei chimice şi a pH-ului anestezicului local. Pacienţii raportează de obicei această etapă a injecţiei ca fiind cea mai dureroasă.
Pentru reducerea reacţiei de durere determinată de depozitarea fluidului s-a recomandat controlarea vitezei de depozitare a soluţiei, administrarea controlată de calculator şi utilizarea agenţilor de tamponare. Întrucât are legătură cu acul, design-ul lumenului poate juca un rol cheie în reducerea presiunii, exercitată de emisia soluţiei din dispozitiv în ţesut.

cu permisiune).
Agenţii / metodologia utilizată la reducerea experienţei dureroase a pacientului
Proprietăţile acului implicate în percepţia durerii
FIBRELE NERVOASE
Anestezic local Tracţiunea ţesutului Tehnici de distragere
Controlarea vitezei de injectare
Mişcarea fermă a mâinilor
Administrarea controlată de calculator
Agenţi de tamponare
Forma bizoului
Proprietăţi de deflecţie Învelişul
AFECTATE TIPUL A
Forma canalului / lumenului Învelişul
Agenţi de tamponare
Necesitatea limitantă a injecţiilor multiple
Metodologia clară de injectare
Schimbarea acului la administrările ulterioare
Integritate structurală globală Învelişul
Design-ul bizotării
Proprietăţi de deflecţie
Tabelul 1 . Recenzia cronologică a injecţiei anestezice dentare şi proprietăţile legate de percepţia durerii în descreştere.
În sfârşit, ambele tipuri de fibre nervoase senzoriale pot răspunde ilicit în timpul îndepărtării acului şi/sau postoperator atunci când încetează efectul anestezicului. Durerea postoperatorie s-a asociat cu pH-ul soluţiei anestezice, administrarea injecţiilor multiple sau tehnica slabă de injectare. În plus, distrugerea ţesutului şi un răspuns dureros continuu poate apărea din cauza îndoirii, aşchierii sau decojirii acului.
Integritatea structurală globală şi design-ul acului, precum şi tipul învelişului protector sunt aspecte importante în prevenirea durerii post-depozitare sau post-injectare.
Există variaţii considerabile în ceea ce priveşte felul de selectare a acelor, pe baza modului în care producătorii concep şi structurează acele.
Având în vedere obiectivul de diminuare a durerii, clinicienii trebuie să înţeleagă componentele acului, ce permit administrarea confortabilă a anestezicului.
Calibrul acului
Diametrul acului este definit cu termenul de calibru. Cele mai la îndemână ace în medicina dentară au calibrul de 25G, 27G şi 30G (cu cât este mai mare calibrul, cu atât este mai mic diametrul acului).
În ultimele decenii s-a remarcat o trecere notabilă spre utilizarea acelor cu diametrul mai mic, bazată pe speculaţia potrivit căreia cu cât este mai mic acul, cu atât este mai redusă senzaţia de durere. Totuşi, această ipoteză este cel mai probabil nejustificată, fiind bazată pe dovezile empirice disponibile.
O recenzie publicată la începutul anilor '90 a evaluat probabilitatea corelaţiei


Figura 2 . O comparaţie a forţei de penetrare la un ac dentar standard (stânga) şi un ac cu bizou în formă de bisturiu (dreapta). (Ilustraţie de AEGIS Media LLC, bazată pe imaginea originală cu drepturi de autor, aparţinând companiei Septodont, Inc. Utilizată cu permisiune)
dintre calibrul acului şi răspunsul dureros în cazul anesteziilor intraorale, concluzionând că reacţiile dureroase nu au depins de calibrul acelor.
Un studiu recent (Flanagan et al) a analizat 930 injecţii intraorale maxilare şi mandibulare standard utilizând ace 25G, 27G şi 30G şi a concluzionat că nu exista nicio diferenţă semnificativă statistic în privinţa percepţiei dureroase. Spre deosebire de calibrul acului, mai mulţi cercetători susţin că ascuţimea şi structura bizoului joacă un rol mai important în diminuarea răspunsului dureros.
Bizoul
Bizoul este considerat "vârful înclinat" al acului. Sunt descrise 5 tipuri principale de bizouri: scurte, medii, lungi, multi şi scalpel (fig. 1). Rolul bizoului este de a asigura o suprafaţă de tăiere ce oferă rezistenţă redusă la nivelul mucoasei în timp ce acul penetrează şi se extrage din ţesut. Pe măsură ce scade rezistenţa faţă de ţesuturi, se îmbunătăţeşte confortul pacientului.
Deşi sunt disponibile mai multe configuraţii ale vârfului, tradiţional se consideră că vârful multi-bizotat produce puncţia cea mai eficientă, provocând totodată cea mai mică traumă. Apariţia noului bizou în formă de scalpel pentru injecţiile maxilare şi intraligamentare (acest tip de ac nu se recomandă pentru orice procedură de injectare în care nervul poate fi atins în mod direct) poate oferi o alternativă modernă. Forma acestuia oferă avantajul unui vârf asemănător bisturiului chirurgical, ce permite inserţia acului cu o deplasare mai mică a ţesutului, necesitând astfel o forţă mai mică pentru a penetra mucoasa (fig. 2).
Bizoul a fost conceput pentru a ajuta la direcţionarea depozitării fluidului; de aceea, trebuie orientat spre regiunea ce urmează a fi anesteziată. De fapt, subiectul orientării bizoului în cursul injectării îşi are rădăcina în deflecţia sau deplasarea acului. Datorită formei bizoului, vârful acului este asimetric şi creează un aspect dezechilibrat al
acului. Întrucât vârful este situat în afara axului central, s-a sugerat că acul se va deplasa lateral de bizou. Mai multe publicaţii au raportat că gradul de deflecţie a acului prin ţesuturi este cu atât mai mare, cu cât este mai mare unghiul bizoului faţă de axul longitudinal al acului.
O formă ideală a acului trebuie să permită gestionarea centralizată şi echilibrată a forţelor tisulare exercitate pe vârful acului. Cu un ac eficient conceput, forţa ţesutului va translaţiona direct spre centrul axului, în mod similar cu conducerea unei pene sau a unei tije în cursul despicării unui lemn. Acest tipuri de ace sunt deseori numite ace "fără deviere". Cercetările disponibile indică o deflecţie semnificativ mai mică în cazul acestui design, comparativ cu o varietate de ace convenţionale unde orientarea (spre sau la distanţă de aria ţintă) nu afectează succesul anesteziei.
Canalul sau lumenul
Porţiunea tubulară (canalul acului) este menţionată cu termenul de lumen. Corelaţia dintre forma tubului şi confortul pacientului este legată de presiunea injectării. S-a constatat că presiunea influenţează direct intensitatea durerii percepute la începutul unei injecţii şi că influenţează nivelul de anxietate a pacienţilor. În plus, Pashley et al au demonstrat că presiunea generată în timpul administrării anestezicului dentar local prezenta valori crescute, variind între 17.061-34.122mm Hg (325-675 PSI).
Presiunea de injectare este generată atunci când se apasă pistonul cartuşului de anestezic şi se creează un flux de soluţie în ţesuturi. Când apare acest proces, un lumen îngust produce jet sub presiune, cauzând lezarea ţesutului sau durere. Pe de altă parte, s-a dovedit că acele cu canalul mai larg reduc durerea şi edemul după injectare datorită necesităţii unei presiuni mai mici pentru apăsarea pistonului.
Lungimea
Tehnica de injectare şi preferinţa operatorului determină lungimea acului

folosit. În prezent există trei lungimi disponibile în stomatologie: lungi (1,10-1,65inch); scurte (0,75-1,00inch); şi ultrascurte (0,4-0,5inch). Lungimea acului nu s-a asociat în mod direct cu creşterea reacţiei dureroase, deşi poate juca rol parţial în durerea ocazională pentru că acele mai lungi sunt utilizate mai frecvent în cazul injecţiilor ce presupun contact cu osul.
Învelişul
Învelişul siliconic al acului hipodermic datează de la sfârşitul anilor 1960, când a fost propus ca metodă pentru îmbunătăţirea coeficientului de fricţiune. Coeficientul de fricţiune este raportul forţei care menţine contactul cu un obiect şi forţa care rezistă la mişcările obiectului (de exemplu forţa ţesutului faţă de progresia şi retragerea acului).
Iniţial, ideea de a înveli acul a pornit de la dorinţa de a obţine o tranziţie mai netedă prin ţesut către regiunea ţintă. Trebuie menţionat că unele studii descriu faptul că prin reducerea acţiunii de fricţiune a ţesuturilor prin intermediul învelişului, calitatea vârfului de ac se poate menţine pe o perioadă mai lungă de timp.
EVENIMENTE ADVERSE
Administrarea anestezicelor locale în stomatologie prezintă un palmares de siguranţă remarcabil. Efectele adverse severe legate de anestezia locală dentară sunt extrem de rare, iar studiile ce evaluează administrarea demonstrează un risc redus de complicaţii. Deşi rare, clinicienii trebuie să înţeleagă modul în care pot apărea complicaţii, precum şi protocoalele terapeutice corespunzătoare şi, mai important, de prevenire.
Ruperea acului
O recenzie Medline efectuată de Malamed et al a relevat disponibilitatea a 26 rapoarte de caz legate de ruperea acului şi managementul situaţiei. Majoritatea implică injecţia pentru blocul nervului alveolar inferior (IANB) şi într-o mai mică măsură, blocul nervului alveolar posterior superior (PSA).
Figura 3 . Aspectul microscopic al neregularităţilor în cazul unor ace dentare nefolosite (Sanchez DE, Fernandez RE. Evaluarea microscopică a acelor dentare. Universitatea Guadalajara. Imagine folosită cu permisiune)

Un raport suplimentar publicat de Pogrel referitor la 16 cazuri cu ruperea acului a afirmat că 15 au implicat injecţii IANB, iar un ac s-a rupt în cursul injecţiei PSA. În plus, s-a constatat că majoritatea cazurilor cu ruperea acului (81,3%) au implicat ace scurte cu calibrul de 30G.
Caracteristicile comune raportate cu ruperea acului includ: utilizarea acelor 30G; introducerea acului cu mandrenul împins până la nivelul mucoasei; utilizarea unei injecţii IANB sau PSA cu ace scurte; ruperea acului la nivelul mandrenului. Trebuie menţionat faptul că, în cazurile în care s-au evaluat acele după fracturare, nu s-a sugerat nicio dovadă a vreunui defect de fabricaţie.
Recomandările pentru prevenirea ruperii acelor includ: evitarea acelor scurte pentru injecţiile IANB; acele nu se îndoaie; nu se folosesc ace 30G în tipurile de injecţii care necesită o ţintă mai profundă. Dacă survine ruperea acului şi o porţiune a acului rămâne vizibilă, se poate folosi pensa hemostatică sau dentară pentru a prinde şi extrage cu grijă acul.
După îndepărtare, este recomandată evaluarea radiologică a regiunii pentru a asigura lipsa totală a resturilor în ţesuturi.
Dacă după rupere acul este complet acoperit de ţesuturi, clinicianul trebuie: să informeze pacientul şi să îl menţină calm; să efectueze o radiografie panoramică standard şi dacă este posibil radiografii adiţionale în planuri laterale şi frontale deopotrivă (scanarea
cu tomografie computerizată [CT] este ideală, dacă există); reţinerea restului de seringă, inclusiv a mandrenului de ac, pentru evaluarea structurală după îndepărtarea fragmentului de ac din ţesuturi; şi să trimită pacientul imediat la un chirurg oral, chirurg plastician sau alt specialist chirurg pentru a îndepărta fragmentul retenţionat.
Teşirea bizoului
Se consideră că teşirea bizoului acului apare atunci când vârful acului se pliază, de obicei la nivel microscopic. Teşirea poate surveni în cursul pregătirii seringii, în timp ce acul avansează prin ţesuturi, în cazul injecţiilor multiple sau când acul atinge osul în timpul injecţiei. "Spinii" rezultaţi din teşire pot fi periculoşi pentru că pot rupe ţesuturile, inclusiv fibrele nervoase, la îndepărtarea sau reintroducerea ulterioară. În general, rapoartele referitoare la incidenţa îndoirii bizoului demonstrează apariţia la 30-78% din cazuri, cu o frecvenţă mai mare în cazul injecţiilor în care se atinge osul.
Teşirea bizoului se poate observa foarte rar cu ochiul liber. Totuşi, practicianul poate verifica prezenţa fenomenului dacă deplasează acul pe o bucată de tifon, manevră care va duce la tragerea firelor din tifon, agăţate de spinii acului. Se recomandă ca un ac să nu fie introdus în ţesut mai mult de 3-4 ori pentru a evita tocirea sau teşirea bizoului.
În plus, practicienii trebuie să înlocuiască acul când schimbă ampula sau când folosesc de mai multe ori seringa.

În cele din urmă, utilizarea unui ac nou la fiecare injecţie va oferi un nivel mai mare de încredere în privinţa ascuţimii, scade riscul de teşire şi limitează posibila contaminare după efectuarea testului cu tifon.
Un ac cu defecte de fabricaţie (neregularităţi la suprafaţa oţelului inoxidabil fie din cauza procesului de secţionare, fie a calităţii oţelului) este mai susceptibil să prezinte sau să dobândească mai uşor teşirea sau despicarea bizoului, ceea ce poate genera distrugerea ţesutului moale şi neuronal, hemoragie sau cauzarea durerii moderate spre severe (fig. 3).
ISO (International Organization for Standardization) impune standarde pentru tipul oţelului inoxidabil, precum şi pentru grosimea minimă a oţelului folosit la fabricarea acelor. Deşi în scădere, defectele de fabricaţie încă există, îndeosebi la nivel microscopic. Un studiu recent ce a evaluat
acele achiziţionate uzual a constatat că omogenitatea aliajelor metalice nu este mereu conformă cu instrucţiunile ISO şi că există o mare variaţie între standardele aplicate; se pare că majoritatea producătorilor aplică propriile standarde în procesul de fabricaţie. În cele din urmă, calitatea materialului şi tipul finisajului la nivelul bizoului sunt vitale în reducerea neregularităţilor, ajutând la reducerea teşirii bizoului.
Selectarea unui ac se bazează de obicei pe practica individuală a operatorului şi pe percepţia sa privind proprii pacienţi.
În prezent nu există o accepţiune universală cu privire la care ac ar fi cel mai bun pentru uzul stomatologic. Totuşi, o recenzie a studiilor disponibile oferă caracteristicile ideale, precum: vârful multibizotat /scalpel; o formă de bisturiu centrată pe axul lung al acului (fără
deflecţie); ace cu lumenul mai mare; învelişul siliconic; aliajul metalic adecvat utilizat în fabricaţie; şi finisarea corespunzătoare a metalului. În cele din urmă, design-ul ar trebui să ajute practicianul să ofere cea mai eficientă şi sigură administrare a anestezicului, cu producerea celei mai mici dureri cu putinţă.
În general, este limitată disponibilitatea de studii care să compare acele. Marea parte a cercetărilor evaluează caracteristicile specifice şi rar includ un eşantion multiplu din mărcile comercializate.
Există variaţii notabile între diferitele mărci şi tipuri de ace. Medicii trebuie să se informeze cu privire la cele mai avantajoase caracteristici ale acelor şi la tipurile de ace disponibile, pentru că un ac hipodermic de calitate poate îmbunătăţi experienţa pacientului. ¤

Despre autori
Leon Hermanides, CDT
Owner, Protea Dental Studio,
Inc., Redmond, Washington; Clinical Instructor, Kois Center, Seattle, Washington
OBIECTIVE 1 2 3
discutarea modului în care limitările anatomice influenţează estetica restaurării implantare;
înţelegerea rolului bontului în susţinerea succesului estetic; descrierea aspectelor implicate în alegerea restaurărilor cimentate vs fixate cu şurub
Raţiunea asigurării unei armonii biologice este completată de criterii tehnice ce ghidează laboratorul în cursul fabricării unei restaurări dentare estetice şi funcţionale. Totuşi, ceea ce nu se înţelege întotdeauna în laborator este faptul că limitările anatomice oferă adesea cea mai mare valoare predictivă pentru integrarea estetică a unei restaurări implantare anterioare.
Prin urmare, în pofida eforturilor depuse de medici şi tehnicieni deopotrivă, şi chiar şi cu înalte niveluri de competenţă chirurgicale şi tehnice, unele restaurări implantare nu ating rezultatul estetic anticipat. În plus, provocările impuse de inserarea implantului şi design-ul sistemului pot explica frustrarea acestora faţă de rezultatele obţinute.
Când implanturile la nivel osos se plasează cu bizou orizontal şi hexagon intern, forma componentelor restauratoare necesită "spaţiu liber" pentru a crea forma rădăcinii şi un profil de
Pentru a maximiza estetica restaurărilor implantare frontale, etapa iniţială a planului de tratament include integrarea protezei în zâmbetul pacientului, în conformitate cu limitările anatomice ale pacientului.
Acest articol examinează rolul bontului în susţinerea succesului estetic şi tehnic. Sunt incluse discuţii cu privire la restaurările cimentate vs fixate cu şurub, selecţia materialului pentru substituţia dintelui frontal şi parametrii designului.
emergenţă adecvat asigurării aspectului natural al dintelui.
Atunci când conform obiectivului, implanturile se plasează la nivelul sau uşor sub nivelul osului şi la cel puţin 2mm de peretele vestibular, există ţesut moale generos şi spaţiu vertical amplu pentru ca tehnicianul să dezvolte contururile de emergenţă ce îndeplinesc criteriile ce urmează a fi discutate în prezentul articol.
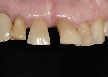
Dacă însă implanturile sunt plasate prea vestibular sau prea superficial, componentele nu permit un design adecvat al bontului, pentru că plasarea marginii este limitată iar conturul facial şi proximal poate fi compromis (fig. 1, 2).
Deşi în acest articol sunt prezentate criteriile pentru fabricarea bontului implantar, este important de menţionat că integrarea zâmbetului pacientului este determinantă înainte de inserarea implantului, iar rolul bontului
în susţinerea esteticii este limitat de procesul de planificare a tratamentului pentru restaurarea finală (fig. 3-5).




Cu noi toamna este mai bogat\! În perioada 24 octombrie-30 noiembrie
v\ oferim cele mai bune pre]uri pentru toat\ gama de produse [i echipamente.
PLURIFARM DENT
Str. Prof. Dr. Gheorghe Marinescu 41, sector 5, Bucure[ti, România

Telefon: 021.316.22.22 / 23 / 24 / 25, E-mail: office@plurifarmdent.ro
TIMI{OARA
Str. Vulturilor nr. 5
Tel/Fax: 0256.294953, 0723.025621
CLUJ
Str. Mihai Eminescu nr. 5, ap. 4 Tel: 0727.730038
CRAIOVA Tel: 0722.535603
SIBIU Tel: 0720.111231
GALATI/BRAILA Tel: 0730.110787
BAIA MARE Tel: 0729.984274
IASI Tel: 0232.435435
Solicita]i la sediul firmei, pe e-mail sau agen]ilor de vânz\ri revista cu promo]ii.
ARGES Tel: 0348.439747
PRAHOVA Tel: 0344.801808
BRASOV Tel: 0732.114168
BACAU Tel: 0234.588788
TARGU-JIU Tel: 0723.935175

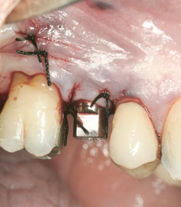
Raţionamentul începe cu motivul pentru care ar trebui folosit un anumit tip de bont implantar. Se pare că există o cerere pentru fabricarea mai degrabă a restaurărilor fixate cu şuruburi decât a unui bont şi a unei coroane cimentate. Cel mai evident scop al utilizării bontului constă în obţinerea corectării implantului aflat într-un unghi care ar transforma orificiul de acces al şurubului într-un dezavantaj estetic. Cel mai frecvent se întâlneşte în cazul dinţilor maxilari frontali, unde arhitectura osoasă tinde să creeze o inclinare vestibulară a implantului pentru a evita perforaţia apicală a peretelui vestibular. De aceea, implantul este înclinat spre latura vestibulară şi lasă orificiul de acces pentru şurub fie prin muchia incizală, fie pe suprafaţa palatinală a restaurării (fig. 6, 7).
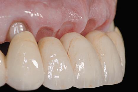
Figurile 3, 4. Întrucât poziţia implantului era mezială faţă de ideal, bonturile individualizate s-au conceput plate pe profilul mezial, dar au prezentat provocări în privinţa conturării restauratoare. 5. Restaurările implantare de la nivelul 1.2. şi 2.2. susţin o FPD metalo-ceramică cimentată între incisivii laterali.


În literatură, s-a observat că orificiile de acces pentru şurub pe coroane metalo-ceramice (PFM) fixate cu şurub devin zone de slabă rezistenţă, întrucât ceramica se slăbeşte suficient pentru a se fractura. Restaurările implantare fixate cu şurub sunt expuse unui risc mai mare de eşec mecanic datorită riscului de eşuare a ceramicii. Se pare că, alegerea unei restaurări cimentate pe bont sau a uneia fixate cu şurub nu are impact semnificativ asupra ratei de supravieţuire a unui implant. Deşi aceste rezultate pot fi contestate, este general acceptat că accesibilitatea la marginile restauratoare pentru îndepărtarea excesului de ciment este vitală atunci când se utilizează bontul pentru a crea un rezultat estetic.
Distorsiuni de procesare
Adaptarea unei proteze parţiale fixe (FPD) cu sprijin implantar devine importantă când se alege între o restaurare cimentată sau fixată cu şurub. În cadrul studiilor, datele au demonstrat că atunci când se evaluează implanturile fabricate printr-o varietate de metode, pot exista distorsiuni remarcabile. Prin cimentarea scheletelor, se minimi-

Figurile 1, 2. Compromisurile conturului vestibular şi proximal sunt evidente. Implantul este la nivel tisular, tehnicianul neputând gestiona plasarea marginii sau a profilului intrasulcular pentru a îmbunătăţi estetica. Dacă se concepea un design tradiţional cu hexagon extern, marginea restauratoare s-ar fi putut plasa foarte aproape de interfaţa bont-implant, cu gestionarea mai bună a spaţiului.
zează orice inexactităţi create de turnare sau adeziunea ceramicii. Stresurile transferate la implanturi de la nivelul distorsiunilor generate de procesarea convenţională sunt atenuate de asigurarea unui spaţiu adecvat pentru ciment. S-a demonstrat că materialul de spaţiere pentru ciment nu compromite retenţia restaurării cimentate, ci, de fapt, îmbunătăţeşte adaptarea restaurării aplicate.
Spaţiul interocluzal adecvat
Una dintre provocările din cadrul fabricării unui bont implantar constă în crearea unei forme de retenţie şi rezistenţă care să prevină dislocarea restaurării. La evaluarea spaţiului vertical dintre suprafaţa implantului şi dentiţia antagonistă, o valoare mai mică de 5mm nu oferă spaţiu suficient pentru marginea bontului (0,5–1mm), o formă de rezistenţă adecvată (3,5mm) şi grosimea materialului restaurator (1mm).
În aceste situaţii, varianta fixată cu şurub ar reprezenta o opţiune mai bună, pentru că infrastructura necesară pentru fabricarea restaurării ar permite o grosime adecvată pentru materialele ceramice.



Achizitionati unitul INTEGO în perioada 24 octombrie –30 noiembrie 2014 si primiti gratuit un compresor uscat (debit 150L/min), Werther – Italia.
Pentru oferte personalizate contactati departamentul tehnic:
Ing. Traian Beclea 0722 57 67 93
Ing. Liviu Pasolescu 0724 54 98 55 , , , ,

Ciment rezidual

Cantitatea şi accesibilitatea cimentului retenţionat după aplicarea finală a restaurării este un argument notabil împotriva unei coroane cimentate pe bont. Totuşi, aceasta poate fi controlată în cursul fabricării în laborator, prin utilizarea unui model de ţesut moale ce reproduce cu precizie profilul de ţesut moale din jurul implantului.
Prin urmare marginea restaurării se poate plasa în mod predictibil subgingival la nu mai mult de 1,5mm sub marginea gingivală. De fapt, în cazul unui bont de titan sau metal, profunzimile marginale de 0,5mm lingual, 1mm mezial şi distal şi 1,5mm pe vestibular ar trebui să asigure acces adecvat la margini pentru curăţarea cimentului şi a ascunde joncţiunea dintre bont şi restaurare (fig. 8).
Figurile 8. Cu ajutorul unui model de ţesut moale şi al unei sonde parodontale, se poate localiza cu precizie profunzimea marginii bontului. 9, 10. Materialul pentru ţesutul moale reprezentat pe model permite adaptarea contururilor subgingivale ale bontului la conturul ideal (fig. 9), şi când se îndepărtează, oferă acces la interfaţa analogului (fig. 10).

Cu scopul de a oferi acces pentru replica implantului în cursul procesului de fabricaţie, pentru restaurările implantare este necesar un model al ţesutului moale. Se utilizează un material siliconic de adiţie sau de condensaţie pentru a reproduce contururile ţesuturilor moi din jurul treimii coronare a replicii implantului.
În cursul etapei de concepere şi de fabricaţie a restaurării, îndeosebi la FPD, este esenţială o vedere clară asupra interfeţei bont-replica implantului pentru a se asigura faptul că toate componentele sunt complet aşezate şi a verifica adaptarea restaurării. În plus, aceasta permite tehnicianului să reproducă sau să sculpteze în materialul siliconic profilul ideal de emergenţă dintre implant şi marginea gingivală, care se poate replica apoi în cursul fabricării bontului (fig. 9, 10).


Figurile
6, 7. Aspectul unei proteze parţiale fixe pe implanturi cu fixare cu şurub, prezentând plasarea ideală a implantului pentru accesul lingual la şurub.
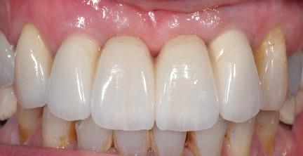
Pentru înlocuirea dintelui anterior, selectarea materialului este importantă în succesul estetic, gradul de afişare a dintelui şi gingiei în timpul surâsului având pondere importantă în decizie. S-a demonstrat că în funcţie de grosimea ţesutului care se află deasupra bontului, unul din titan poate crea umbră prin ţesuturile moi. Când grosimea ţesutului era mai mică de 2mm, autorii au arătat că ochiul uman putea detecta reflecţia luminii de pe bontul de titan. Astfel, orice implant plasat vestibular de dinţii adiacenţi sau cu mai puţin de 3mm sub marginea gingivală finală anticipată la un pacient care afişează treimea cervicală a dinţilor în timpul zâmbirii poate necesita un bont de zirconiu. Acest lucru va minimiza umbra situată apical de marginea gingivală, observată în cazul bonturilor de titan. Pacienţii care nu afişează treimea cervicală a dinţilor în cursul zâmbetului larg, permit o mai mare flexibilitate în privinţa alegerii materialului, pentru că riscul reflecţiei date de afişarea metalului este minimă (fig. 11-13). Bonturile de zirconiu reprezintă o opţiune excelentă atunci când accesibilitatea la marginile restaurative este îndoielnică, deoarece permit ca marginile restaurării să fie mai apropiate de marginea gingivală finală, în special în cazurile în care se anticipează recesie gingivală. Dacă există orice retracţie ulterioară, joncţiunea dintre dinte şi restaurare este mai puţin vizibilă şi există o mai mică probabilitate pentru afişarea umbrei în cazul unui bont metalic.
Ca la orice restaurare fabricată în laborator, există o serie de parametri pentru determinarea rezultatului final.
Bontul trebuie să întrunească următoarele criterii:
• asigurarea unei forme de retenţie şi rezistenţă pentru retenţia coroanei finale şi pentru o cale adecvată de inserţie;
• crearea conturului de emergenţă care să se integreze în dentiţia învecinată;
• menţinerea accesibilă a marginilor pentru curăţarea reziduurilor de ciment.
Retenţie şi rezistenţă
O conicitate a bontului de 6° şi o lungime minimă de preparaţie de 3-4mm sunt parametri ideali pentru un bont/ dinte. Acestea asigură o formă adecvată de retenţie şi rezistenţă, presupunând că orificiul de acces al şurubului nu compromite peretele vestibular (sau lingual) al bonturilor posterioare, sau peretele mezial (sau distal) al celor anterioare. Utilizarea şanţurilor de retenţie proximale la dinţii posteriori poate consolida rezistenţa la dislocare.
Profilul de emergenţă
Profilul de emergenţă al unui bont implantar este cel mai important determinant restaurator al nivelului gingival vestibular, exceptând cazurile în care sunt favorabile limitările anatomice. Plasarea unui implant într-o poziţie nefavorabilă în raport cu poziţia finală a dintelui reprezintă cea mai mare provocare pentru tehnicianul care încearcă să creeze contururi subgingivale favorabile pentru bont. Plasarea ideală a unui implant anterior ar fi la 3-5mm apical de marginea gingivală a dintelui contralateral sau faţă de poziţia dentară ideală. Înclinaţia vestibulo-orală a implantului trebuie angulată prin muchia incizală, iar cea mezio-distală să fie paralelă cu rădăcinile celorlalţi dinţi.
Plasarea vestibulo-orală ce permite o porţiune de 2mm de os vestibular va preveni suplimentar pierderea ţesutului vestibular. Este relativ simplă crearea unui profil de emergenţă adecvat când toţi aceşti factori sunt ideali. Totuşi, realitatea arată faptul că

plasarea implantului nu întruneşte, de obicei, unul sau mai multe dintre aceste criterii.
Există trei dimensiuni esenţiale ale profilului de emergenţă în cazul bontului, a căror combinaţie determină poziţia marginii gingivale, prezenţa papilei interproximale şi profilul gingival al dintelui restaurat (fig. 14). Acestea sunt: emergenţa vestibulară; emergenţa proximală şi proximitatea pentru a permite plasarea adecvată a contactului; şi emergenţa orală.
Profilul de emergenţă vestibular
S-a demonstrat că un profil concav poate creşte volumul ţesuturilor din jurul bontului şi invers, profilul convex al bontului va crea migraţia apicală a ţesutului moale. De aceea, pe măsură
ce se dezvoltă profilul vestibular al bontului, este esenţială determinarea poziţiei gingivale finale a dintelui restaurat. Dacă marginea gingivală a dintelui restaurat se află apical de dintele contralateral (restaurarea ar crea un dinte mai lung) profilul bontului trebuie să fie plat sau concav. Aceasta ar permite ţesutului să acopere restaurarea şi să scurteze lungimea vizuală a restaurării. Totuşi, când implantul se poziţionează vestibular, plasat mai superficial de 3mm sub marginea gingivală, sau plasat cu o înclinaţie vestibulară excesivă, este compromisă oportunitatea de a corecta lungimea vizuală a restaurării. Invers, când marginea gingivală se află coronar de cea a dintelui contralateral (restaurarea ar crea un dinte mai scurt) profilul bontului poate fi uşor convex cu scopul de a deplasa apical ţesutul moale





şi pentru a corecta lungimea vizuală a restaurării. Aceasta se poate obţine prin ajustarea nivelului gingival şi a profilului ţesutului moale pe modelul de ţesut moale şi prin fabricarea bontului în conformitate cu acest profil modificat. Totuşi, dacă implantul nu s-a poziţionat la o adâncime de 3-5mm în raport cu marginea gingivală, modificarea nu este posibilă (fig. 11-13).
Profilul de emergenţă proximal Contururile proximale ale bontului influenţează prezenţa ţesutului interproximal prin asigurarea emergenţei adecvate pentru conturul corespunzător al coroanei şi plasarea punctului de contact. Pentru implantul destinat substituţiei unidentare, nivelul osului şi prezenţa papilei interproximale sunt determinate de dinţii adiacenţi. În cazul implanturilor adiacente, distanţa interimplantară pare să influenţeze înălţimea osului interproximal şi a papilei interproximale aferente (fig. 15-17). Nu bontul "susţine" ţesutul, ci mai


Figurile 11-13. Deşi implantul s-a poziţionat la o profunzime normală în raport cu nivelul osului şi al ţesutului moale (fig. 11), va fi imposibilă crearea unei restaurări cu aceeaşi lungime ca dintele contralateral, din cauza plasării coronare a implantului (fig. 12). Restaurarea provizorie demonstrează discrepanţa lungimii dentare (fig. 13). 14. Un bont individualizat CAD/CAM. 15-16. Restaurare implantară la nivelul 1.1. Sondarea osului interproximal pentru a verifica plasarea adecvată a punctului de contact dinspre creasta proximală a osului, cu scopul de a asigura regenerarea completă a papilei interproximale (Fotografii cu amabilitatea lui Don Jayne, DDS). 17. Sunt evidente dificultăţile asociate unui bont standard pentru restaurarea dinţilor anteriori. Întrucât profilul bontului era insuficient, marginile au fost scurtate cu scopul de a lăsa spaţiu pentru conceperea profilului de emergenţă.
degrabă abilitatea bontului şi a restaurării de a conforma în mod favorabil anatomia şi volumul ţesutului existent, ce vor crea profilul gingival şi papila interproximală. Profilul de emergenţă al bontului în regiunile interproximale ar trebui prin urmare să înceapă să se apropie de contururile dintelui natural pentru a oferi o tranziţie lină spre restaurare.
Profilul de emergenţă lingual
Profilul lingual are impact redus asupra esteticii periimplantare şi se poate adapta pentru a forma conturul aşteptat al rădăcinii unui dinte.
Bonturile standard pentru dinții anteriori se folosesc acolo unde profilele bonturilor sunt concepute în raport cu un ideal perceput de către compania producătoare de implanturi şi permit tehnicianului să adapteze miezul său la
angulaţia, lungimea şi conicitatea necesară. În selecţia bonturilor este posibilă diferenţierea între dinţii anteriori şi posteriori. Întrucât criteriile estetice pentru o restaurare posterioară şi festonul mai plat al osului interproximal oferă o mai mare flexibilitate, utilizarea unui bont standard este mai adecvată în cazul restaurărilor implantare posterioare. Costurile opţiunilor CAD/ CAM disponibile în prezent pentru individualizarea bonturilor şi calitatea rezultatului restaurator final susţin recomandarea utilizării unui bont individualizat în cazul restaurărilor din zona estetică (fig. 14).
În cazul restaurărilor implantare anterioare, îndeosebi în cazul unui risc estetic crescut, se recomandă bontul individualizat corect conceput, pentru beneficiu pe termen lung. Rezultatul estetic final poate fi controlat cu ajutorul bontului prin controlul profilului intrasulcular şi al materialului din care este fabricat acesta. ¤

1. Rolul bontului în susţinerea esteticii este limitat de:
a. procesul de planificare a tratamentului pentru restaurarea finală;
b. decizia de a utiliza fie o restaurare cimentată, fie a uneia fixate cu şurub;
c. valoarea cuplului de torsiune aplicat pe implant;
d. tipul bontului de amprentare utilizat.
2. Scopul cel mai evident al utilizării unui bont este de a:
a. asigura angulaţia adecvată a ambrazurii cu zona cervicală adiacentă;
b. plasa supragingival marginea;
c. obţine corectarea unui implant plasat într-un unghi care ar transforma orificiul de acces al şurubului într-o trăsătură estetică slabă;
d. reduce cantitatea de ciment necesar pentru restaurarea finală.
3. Stresurile transferate la implanturi din distorsiunile generate de procesarea convenţională sunt atenuate de:
a. utilizarea unei amprente preliminare;
b. utilizarea unei amprente finale;
c. asigurarea unui spaţiu adecvat pentru ciment; d. creşterea torsiunii cu 10 Ncm.
4. Când se evaluează spaţiul vertical dintre suprafaţa implantului şi dentiţia antagonistă, o distanţă sub 5mm ar oferi spaţiu insuficient pentru:
a. marginea bontului;
b. forma de rezistenţă adecvată;
c. grosimea adecvată a materialului restaurator; d. toate răspunsurile de mai sus.
5. Cantitatea şi accesibilitatea cimentului retenţionat după aplicarea finală a restaurării se poate controla prin utilizarea: a. unui model de ţesut moale;
b. unui bont CAD/CAM; c. unui bont cu o conicitate de 6 grade; d. unor orificii de acces pentru şurub.
6. Un model de ţesut moale utilizează un material siliconic de adiţie sau de condensaţie pentru a reproduce contururile de ţesut moale din jurul:
a. 1/3 cervicale a replicii implantului;
b. 1/3 medii a replicii implantului;
c. 1/3 coronare a replicii implantului;
d. toate răspunsurile de mai sus.
7. Când grosimea ţesutului era sub 2mm, un studiu a demonstrat că ochiul uman putea detecta reflecţia luminii de pe:
a. bontul de zirconiu;
b. bontul de titan; c. bontul individualizat; d. bontul standard.
8. Care profil al bontului va crea o migraţie apicală a ţesutului moale?
a. convex; b. concav; c. angulaţia mezială; d. angulaţia orală.
9. În cazul implanturilor adiacente, înălţimea osului interproximal şi a papilei interproximale aferente pare să fie influenţată de:
a. dinţii adiacenţi; b. dinţii antagonişti; c. ocluzia finală; d. distanţa dintre implanturi.
10. Parţial întrucât festonul aplatizat al osului interproximal oferă o mai mare flexibilitate, utilizarea unui bont standard este mai adecvată pentru:
a. restaurările implantare anterioare;
b. restaurările implantare posterioare; c. restaurările implantare maxilare; d. restaurările implantare mandibulare.

Oral Rinses for a Proactive Intervention Approach to Periodontal Health by Fay Goldstep, DDS.
Originally published in Compendium of Continuing Education in Dentistry 35(8) Sept 2014. Copyright © 2014 to AEGIS Communications. All rights reserved.

Despre autor
Fay Goldstep, DDS Private Practice Toronto, Canada
Boala parodontală este un proces multifactorial complex cu etiologie bacteriană şi progres inflamator. O mare parte din afecţiunile parodontale reprezintă rezultatul distrugerii structurilor înconjurătoare cauzată de răspunsul gazdei; bacteriile patogene iniţiază răspunsul inflamator, în timp ce inflamaţia cronică susţine aceste bacterii prin producţia compuşilor rezultaţi din dezintegrarea ţesuturilor folosite ca sursă de hrană. Eliminarea eficientă a patogenilor parodontali poate rezolva inflamaţia. Reducerea în acelaşi timp a răspunsului infamator poate elimina patogenii parodontali din pungi, datorită diminuării aportului de hrană pentru germeni. Datorită acestui proces ciclic, odată început, răspunsul gazdă trebuie oprit; în caz contrar situaţia va continua să se agraveze.
Practicienii pot ajuta pacienţii să îşi protejeze sănătatea parodontală cu intervenţii bazate pe înţelegerea etiologiei bacteriene şi a progresului inflamator al bolii parodontale. Terapiile disponibile încearcă să întrerupă cascada microbiologică şi inflamatorie care deseori progresează spre boala parodontală.
Cronologia ciclică a bolii parodontale începe cu colonizarea bacteriană, urmată de formarea biofilmului, apoi ataşarea, inflamaţia şi reacţia gazdei. Terapiile pentru oprirea cascadei sunt eficiente în diferite etape ale procesului şi pot fi antiadezive, antiseptice şi/ sau antiinflamatorii. Apele de gură, cel mai puţin invazive dintre aceste terapii, reprezintă o intervenţie proactivă eficientă ce ajută la întreruperea cascadei microbiologice şi inflamatorii care progresează adesea spre boala parodontală.
Apele de gură oferă agenţi chimioterapeutici ce compensează dificultatea accesării ariilor greu accesibile, dexteritatea manuală slabă şi lipsa eliminării constante mecanice a plăcii. Mai mult, doar 20% din mediul oral este reprezentat de structurile dentare. Saliva, limba şi mucoasa servesc ca rezervoare de bacterii parodontopatogene, fiind omise de obicei de mijoacele de igienă orală mecanice. Publicul preferă clătirea orală datorită uşurinţei de utilizare şi efectului de împrospătare a respiraţiei. Clătirile orale sunt eficiente mulţumită a trei mecanisme de control al inflamaţiei parodontale: agenţi antiadezivi, antiseptici şi antiinflamatori (tabelul 1).
Conceptul original referitor la etiologia bolii parodontale se baza pe ipoteza plăcii "nespecifice": toate plăcile sunt nocive pentru sănătatea parodontală şi cantitatea de placă trebuie redusă.
























special blade and better sharpness compact, easy to use and very efficient less risk of perforation thanks to inactive point top results in minimum time designed with front professionals































PRODUCER MEDIN, a.s. Vlachovická 619 592 31 Nové Město na Moravě Czech Republic +420 566 684 373 export@medin.cz www.medin.eu
IN ROMANIA: DENT CAFE SRL Bd. Octavian Goga nr. 23 Sector 3, Bucuresti +40 723 152 930 o ce@dentcafe.com www.dentcafe.com


Figurile: 1, 2. Hidroclorura de delmopinol interferează cu formarea matricei biofilmului (1). Masa biofilmului devine slab aderentă şi se poate îndepărta cu uşurinţă de către pacient (2). (Imagini cu amabilitatea Sunstar Americas, Inc. Folosite cu permisiune.)
Tabelul: 1. Ape de gură
Delmopinol HCl
Combinaţia fixă de uleiuri esenţiale
Clorhexidina
Clorura de cetilpiridiniu
Punctul de vedere actual susţine "placa specifică", adică speciile bacteriene specifice creează un mediu parodontal toxic printre alte bacterii inofensive. În esenţă, formarea plăcii bacteriene progresează astfel: când un dinte curat ia contact cu saliva, se acoperă rapid cu o peliculă (glicoproteine şi polizaharide) ce facilitează ataşarea microorganismelor la dinte şi dacă se lasă intactă, permite formarea plăcii dentare mature. Colonizatorii iniţiali sunt preponderent bacterii ne-parodontopatogene, gram-pozitive, ce metabolizează glucidele. Colonizatorii tardivi sunt anaerobii ce metabolizează proteinele (Porphyromonas gingivalis, Tannerella forsythensis, Treponema denticola), fiind implicaţi în boala parodontală şi halitoză. Întreruperea biofilmului cu diversele metode de igienă orală menţine frecvent biofilmul în etapele sale iniţiale, cu bacterii ne-parodontopatogene, pentru că germenii colonizatori tind să apară în aceeaşi secvenţă. Dacă nu este controlată în mod adecvat, formarea plăcii bacteriene care debutează supragingival progresează către şanţ. Soluţiile antiadezive şi antiseptice opresc ataşarea şi maturarea biofilmului patogen ce iniţiază boala parodontală.
Agenţi ANTIADEZIVI
Hidroclorura de delmopinol (DH) reprezintă o abordare chimioterapeutică
Antioxidanţi Extracte botanice
recentă pentru controlul plăcii. Aceasta implică un agent ce inhibă formarea plăcii, având simultan efect redus asupra bacteriilor sau al echilibrului bacteriilor comensale orale.
DH este agent tensioactiv cu potenţial antimicrobian redus. Interferează cu formarea matricei biofilmului prin prevenirea sintezei de polizaharide de glucani, substanţa care solidarizează biofilmul şi îl ataşează la suprafeţele orale. Aderenţa primelor bacterii formatoare de placă este redusă, iar masa biofilmului emergent este slab aderentă (fig. 1). Ulterior placa se poate îndepărta cu uşurinţă de către pacient (fig. 2).
Apele de gură cu DH (0,2%) au demonstrat o eficienţă semnificativă statistic în reducerea plăcii şi a gingivitei. Se asociază cu o oarecare coloraţie, dar într-o mai mică măsură faţă de clorhexidină şi este şi mai uşor de îndepărtat. Sunt indicate pentru utilizarea zilnică pe termen lung, pentru că prezintă efecte adverse puţine şi menţine echilibrul ecosistemului oral.
Ape de gură ANTISEPTICE
Apele de gură antiseptice funcţionează producând moartea celulelor sau inhibarea metabolismului microbian. Sunt formulate pentru a penetra în matricea plăcii cu scopul de a obţine acces la patogeni. Apele antiseptice eficiente trebuie să prezinte: lipsa toxi-
cităţii asupra ţesuturilor orale şi efecte adverse minime; eficienţă împotriva patogenilor specifici; biodisponibilitatea adecvată a ingredientelor active; stabilitate; substantivitate (abilitatea de a se cupla la suprafaţa ţesuturilor şi a se elibera lent pentru efect terapeutic continuu şi rezistenţa faţă de diluţia în salivă); abilitatea de a menţine echilibrul ecologic, fără supradezvoltarea microorganismelor sau rezistenţa bacteriană.
Trei categorii de ingrediente antiseptice domină piaţa apelor de gură: uleiuri esenţiale (EO), clorhexidina (CHX) şi clorura de cetilpiridiniu (CPC).
1. Combinaţia fixă de uleiuri esenţiale
Uleiurile esenţiale (EO) se obţin prin distilarea cu aburi a porţiunilor uleioase parfumate din materiile vegetale. Pot fi extrase din flori, frunze, scoarţe, rădăcini, lemn, rizomi, fructe, seminţe. Datorită proprietăţilor bactericide, EO reprezintă o alternativă populară la produsele chimice sintetice.
O combinaţie fixă de patru EO – timol, mentol, eucaliptol şi salicilat de metil –se află în uz clinic având cea mai lungă istorie clinică dintre agenţii antiseptici şi cele mai puţine efecte adverse raportate. O clătire de 30sec penetrează biofilmul şi oferă efect antimicrobian semnificativ asupra bacteriilor încorporate, inclusiv asupra parodontopatogenilor.Ca mecanism de acţiune, EO cauzează modificarea morfologică a suprafeţei celulare după o expunere de 30sec, producând moartea celulelor în cazul anumitor parodontopatogene specifice. Denaturează proteina şi influenţează activitatea enzimatică a









bacteriilor. Extrage endotoxinele bacteriene din patogenii gram-negativi şi afectează rata de creştere a bacteriilor formatoare de placă iniţiale, întrerupând formarea biofilmului.
EO deţin şi efecte antiinflamatoare, incluzând inhibarea formării prostaglandinelor şi a radicalilor liberi generaţi de neutrofile în cadrul inflamaţiei.
Spre deosebire de CHX şi CPC, EO prezintă o modificare electrică neutră, ce reduce efectele adverse nedorite: nu interacţionează cu ionii cu încărcătură electrică din dentifrice şi ape de gură ce le-ar putea reduce eficienţa, nu sunt inhibate de proteinele din serul sangvin ce pot inactiva agenţii antimicrobieni şi nu precipită cromogenii alimentari ce ar colora dinţii.
Totuşi, efectul EO lor se suprimă odată cu îndepărtarea soluţiei de clătire. Întrucât acţiunea lor este rapidă, acest lucru poate să nu aibă semnificaţie clinică. Dar s-au dovedit a fi eficiente în penetrarea biofilmului pentru a distruge bacteriile, efect comparabil cu acţiunea CHX. Recenziile sistematice referitoare la EO cu sau fără alcool nu au demonstrat nicio diferenţă semnificativă în privinţa eficienţei terapeutice.
2. Clorhexidina (CHX)
Gluconatul de clorhexidină este un dezinfectant medical şi chirurgical încă din 1950 şi se foloseşte oral din 1970. CHX se cuplează prin adsorbţia la suprafeţele orale, ca de altfel la salivă şi peliculă, dobândind substantivitate crescută. Prezintă efect bacteriostatic şi bactericid deopotrivă, în funcţie de concentraţia acesteia (fig. 3).
Molecula de CHX încărcată pozitiv (cationică) se leagă puternic la suprafaţa celulară încărcată negativ (anionică), modificând integritatea peretelui celular. Apoi CHX se leagă de membrana celulară internă, ducând la permeabilitate crescută şi distrugere celulară, ruptura membranei celulare, scurgerea conţinutului celular şi în cele din urmă la moartea celulei bacteriene.
CHX are o încărcătură electrică dublu pozitivă şi prin urmare interacţionează extrem de uşor cu anionii. Aceasta ajută eficienţa, dar produce efecte adverse nefavorabile:
• precipită cromogenii din alimente şi băuturi cu încărcătură negativă (precum ceaiul), cauzând adesea pigmentaţii;
• eficienţa sa poate fi compromisă de detergenţii cationici (ca lauril sulfatul de sodiu) şi fluorurile anionice din pastele de dinţi, deci trebuie respectată o fereastră de 30min între periajul cu pasta de dinţi şi clătirea cu CHX;
• poate cauza modificări de gust şi greaţă;
• poate facilita formarea tartrului supragingival.
Din aceste motive, clătirile cu CHX se prescriu doar ca terapie de scurtă durată, pentru a controla puseurile acute sau severe ale bolii parodontale. CHX are un efect cu spectru larg de acţiune împotriva germenilor gram- pozitivi şi negativi (inclusiv mulţi parodontopatogeni), a unor fungi şi levuri (inclusiv Candida), şi unele virusuri (inclusiv HIV). Nu s-a raportat rezistenţă bacteriană în cazul utilizării de lungă durată.
Figura: 3. Molecula de clorhexidină încărcată pozitiv se leagă mai întâi de suprafaţa celulară încărcată negativ şi apoi de membrana celulară internă, ducând la ruptură, scurgerea conţinutului celular şi moartea celulei bacteriene.
Prin cuplarea directă la suprafeţele dentare, CHX ocupă locaţii ce ar putea fi utilizate de peliculă şi bacterii, inhibând astfel formarea timpurie a biofilmului. S-a dovedit că CHX penetrează biofilmul şi distruge patogenii încorporaţi. Legătura strânsă la structurile orale îi permite să se elibereze lent şi prelungit în cavitatea orală, până la 12 ore, ducând la o substantivitate crescută.
Considerată pe scară largă ca "standardul de aur" în sfera apelor de gură, soluţiile pe bază de CHX se folosesc adesea ca şi control de referinţă faţă de ceea ce se determină în cazul noilor produse. Alţi agenţi chimioterapeutici pot prezenta fie un efect imediat pur, fie persistenţă limitată. Persistenţa CHX reprezintă baza eficienţei sale. CHX este adecvată îndeosebi pentru populaţiile cu igienă orală compromisă, precum vârstnicii, cei cu limitări fizice sau handicap mintal, situaţii în care utilizarea de durată poate fi corespunzătoare. Formulele fără alcool s-au dovedit la fel de eficiente în controlul plăcii bacteriene şi reducerea inflamaţiei gingivale ca şi cele fără alcool.
3. Clorura de cetilpiridiniu (CPC)
Este un agent cationic, tensioactiv cu activitate bactericidă şi bacteriostatică împotriva patogenilor bacterieni şi a levurilor. Deşi bactericid asupra bacteriilor gram pozitive şi negative deopotrivă, este mai eficient împotriva primelor. Deţine un efect inhibitor semnificativ asupra plăcii şi inflamaţiei gingivale (fig. 4-7).
Molecula cationică de CPC se cuplează la dinţi şi la peretele bacterian. Cuplarea interferează cu colonizarea bacteriană pe suprafaţa dentară.
CPC este eficientă împotriva colonizatorilor pionieri din placa bacteriană imatură, reducând formarea biofilmului matur. Legarea la suprafaţa bacteriană cauzează întreruperea funcţiei membranei celulare microbiene, scurgerea materialului citoplasmatic şi colapsul echilibrului intracelular, ducând la moartea celulei bacteriene.























































































































































Figurile: 4-7. Clorura de cetilpiridiniu (CPC) cu încărcătură pozitivă se cuplează la suprafaţa bacteriei (fig 4), cauzând întreruperea funcţiei membranei celulare bacteriene (fig 5), scurgerea materialului citoplasmatic (fig 6), şi moarte celulei bacteriene (fig 7). (Imaginile cu amabilitatea Procter & Gamble. Retipărit după Journal of Contemporary Dental Practice, 2005;6(1), cu permisiune.)
Formularea vehiculilor, a conservanţilor, stabilizatorilor, coloranţilor, etc., poate avea impact asupra biodisponibilităţii CPC. Soluţiile cu 0,07% în cadrul unei formule fără alcool, cu biodisponibilitate crescută a prezentat beneficii antiplacă şi antigingivită semnificative. Efectele adverse ale CPC se datorează structurii sale cationice. Acestea includ coloraţia, cu etiologie alimentară similară cu CHX, dar mai puţin severă; CPC poate interacţiona advers cu alţi ioni din cadrul dentifricelor şi apelor de gură (ca CHX).
CPC se leagă puternic la structura dentară şi biofilm, oferind o bună substantivitate, deşi la un grad mai redus decât CHX.
În cadrul unei recenzii sistematice a literaturii, CHX, CPC şi EO au prezentat efecte benefice antiplacă şi antigingivită în cazul utilizării pe termen lung în combinaţie cu instrumentele mecanice de igienă orală. CHX a prezentat cele mai constante rezultate şi s-a dovedit a fi mai eficientă decât EO în reducerea plăcii, dar este comparabilă în privinţa proprietăţilor antigingivită.
Apele de gură ANTIINFLAMATORII În parodonţiul sănătos, răspunsul
înnăscut încearcă să elimine corpii străini şi are rol de protecţie împotriva leziunilor sau infecţiilor. Boala parodontală rezultă din eşuarea organismului în oprirea răspunsului faţă de infecţii.






















































































































Rezultatul este inflamaţia cronică maladaptivă, un mediu care generează o sursă bogată de elemente nutritive precum proteinele gazdă degradate, adică exact ceea ce au nevoie bacteriile patogene pentru supravieţuire şi creştere. Patogenii bacterieni continuă să exploateze această schimbare de mediu, ducând la înmulțire, accentuarea inflamaţiei, resorbţie osoasă şi un spaţiu nişă perfect (pungi parodontale mai profunde) unde întregul proces poate continua nestingherit.
Inflamaţia cronică nerezolvată, răspunsurile celulare şi moleculare la schimbările bacteriene implică ajustarea constantă şi feedback de reglare (fig. 8, 9). Neutrofilele şi alte celule secretă citokine ce promovează eliberarea de metaloproteinaze matriceale (MMP), enzime proteolitice, inclusiv colagene, implicate în remodelarea osoasă normală.
Distrugerea ţesutului nu este unidiecţională, astfel că este ajustată permanent de interacţiunea gazdă-bacterii. Distrugerea osului alveolar este rezultatul decuplării proceselor de resorbţie şi formare osoasă normale şi strâns cuplate între ele. Producţia de prostaglandine joacă rol în resorbţia osului alveolar.
Răspunsul adecvat al gazdei este factorul contributiv major în boala parodontală cronică maladaptivă. Un răspuns defectuos al gazdei iniţiază starea cronică, iar un răspuns prea viguros duce la distrugerea ulterioară a ţesutului. Datele emergente sugerează că parodontopatogenele prezente în număr mic utilizează inflamaţia pentru a asigura un mediu de stimulare propriei dezvoltări. Controlul inflama-













4 5 6 7


1. Antioxidanţi














ţiei poate reversa realmente compoziţia unui biofilm patologic spre unul sănătos. Implicaţia constă în faptul că biofilmul patologic este un rezultat al inflamaţiei parodontale, precum şi cauza acesteia. Apele de gură antiinflamatoare, produse mai noi în categoria soluţiilor de clătire orală, încearcă să întrerupă acest ciclu patologic. Se comercializează sub două clasificări majore de ingrediente: antioxidanţi şi extracte botanice.
Radicalul liber este un atom sau un grup de atomi deosebit de activi ce prezintă unul sau mai mulţi electroni fără pereche. Sunt formaţi ca produşi intermediari în cursul reacţiilor biochimice normale. Când sunt generaţi în exces sau necontrolat, radicalii pot distruge celulele. Radicalii dăunători în cadrul sistemelor biologice sunt derivaţi din oxigen, fiind cunoscuţi ca speciile reactive ale oxigenului (ROS).
ROS sunt generate de neutrofile în cadrul defensivei gazdei pentru distrugerea patogenilor invadatori, ridicând astfel nivelul ROS în cursul inflamaţiei. Antioxidanţii neutralizează radicalii liberi dăunători ce produc stări de boală. Există studii promiţătoare privind aplicarea locală a antioxidanţilor pe ţesuturile orale pentru vindecarea gingiei. Producătorii dentari au încorporat antioxidanţi în pastele de dinţi, apele şi soluţiile de clătire orală, geluri, tablete şi sprayuri orale, odorizante şi alte produse dentare pentru a controla boala gingivală şi parodontală. Există efecte clinice posibil benefice, dar datorită naturii inerente instabile a antioxidanţilor, simpla adăugare a unui antioxidant la un preparat oral nu produce neapărat un agent eficient.

Pacienţii cu boală parodontală prezintă un nivel redus de antioxidanţi gingivali şi serici. Deocamdată nu este clar dacă nivelul mai mic de antioxidanţi contribuie la cauza parodontitei sau dacă nivelul antioxidanţilor este redus ca rezultat al acţiunii diminuate de neutralizare a radicalilor liberi. Studiile in vitro au demonstrat că antioxidanţii au efect benefic asupra migrării fibroblaştilor şi proliferării în cursul vindecării gingivale sau reparaţiei parodontale. Fibroblaştii sunt deosebit de importanţi în procesul de vindecare. Depunerea lor de colagen restaurează rezistenţa, integritatea şi structura ţesuturilor.
2. Extracte botanice
Deşi valorificarea proprietăţilor antimicrobiene vegetale nu este nouă, conceptul utilizării proprietăţilor antiinflamatoare şi regeneratoare ale materiilor botanice este acum în curs de explorare. Soluţia antiinflamatorie ideală ţinteşte citokinele proinflamatoare şi enzimele implicate în inflamaţia orală şi distrugerea tisulară. O soluţie orală prezintă o formulă cu 3 extracte botanice într-un raport specific, având efect antimicrobian, antiinflamator şi de reparaţie tisulară. Conceptul este acela de a ajuta modularea răspunsului inflamator al gazdei şi de a întrerupe ciclul inflamaţiei. Testele au arătat inhibarea citokinelor inflamatoare şi a produselor lor cu efect nociv asupra ţesuturilor (prostaglandine, MMP); produsele de regenerare tisulară (colagen, factori de creştere) produse de fibroblaşti prezentau valori crescute. Cele trei plante sunt: centella asiatica

(gotu kola), având capacitatea de a creşte colagenul eficient şi se foloseşte la vindecarea plăgii; sambucus nigra, ce inhibă proprietăţile proinflamatoare ale bacteriilor parodontopatogene cu efecte antivirale, antibacteriene şi anti-citotoxice.
Soluţia orală de origine botanică a demonstrat abilitatea de a reduce inflamaţia gingivală. Un studiu privind managementul inflamaţiei postoperatorii periimplantare a constatat că soluţia era clinic echivalentă cu controlul plăcii cu ajutorul CHX 0,12%, dar mai eficientă decât CHX în diminuarea inflamaţiei în regiunile de implantare şi ariile cu incizii chirurgicale.
APA?
Ideal, soluţiile de clătire orală trebuie să fie rentabile, uşor accesibile şi fără efecte secundare. Apa reprezintă un astfel de agent. Când se utilizează pentru clătire, ea nu are niciun efect clinic; când este aplicată cu ajutorul unui dispozitiv pulsator şi cu presiune controlată (duş bucal), demonstrează beneficii consistente asupra sănătăţii gingivale şi parodontale.
Efectele sunt cuprinzătoare, cu impact asupra ciclului inflamator, de la formarea plăcii şi adeziune până la răspunsul inflamator al gazdei. Unul dintre avantajele duşului bucal faţă de clătirea simplă constă în abilitatea de a atinge ariile subgingivale şi interdentare. Agenţii de clătire pot penetra şanţul gingival cu cca 2mm, în timp ce apa sau agentul antimicrobian aplicat cu duşul bucal poate îndepărta bacteriile din pungile de până la 6mm. Recent
Figurile: 8, 9. Prezentarea răspunsului inflamator cronic de dezadaptare.
Ţesuturile parodontale: placa bacteriană, distrugerea ligamentului parodontal, ulceraţiile învelişului epitelial, migraţia apicală a bacteriilor patogene precum P. gingivalis, şi resorbţie osoasă.
Nivelul celular: un număr crescut de neutrofile, macrofage, etc. Nivel biochimic: citokinele proinflamatoare crescute reglează eliberarea de MMP (implicate în resorbţia osului şi degradarea colagenului); fragmentele de colagen oferă nutriţie pentru bacteriile patogene; survine producţia de prostaglandine (implicate în resorbţia osoasă).
duşul bucal a fost comparat cu utilizarea aţei interdentare în cinci studii diferite, demonstrând constant reducerea sângerării, gingivitei şi a indicilor de placă.
Irigaţia orală zilnică cu duşul bucal a prezentat eficienţă comparabilă cu administrarea minociclinei la pacienţii cu parodontită moderată spre severă. Ambele programe de întreţinere erau eficiente în reducerea semnelor clinice de parodontită şi în prevenirea recolonizării cu bacterii parodontopatogene după detartraj şi planare radiculară. Acţiunea mecanică a jetului de apă întrerupe biofilmul şi previne recolonizarea bacteriană. Acţiunea hidrodinamică nu are efecte adverse şi nu potenţează dezvoltarea tulpinilor rezistente ca în cazul agenţilor antimicrobieni precum minociclina. Irigaţia orală pulsatilă produce o modificare calitativă a plăcii subgingivale.
Duşul bucal are impact asupra răspunsului inflamator al gazdei, după cum reiese din reducerea citokinelor proinflamatoare în fluidul crevicular gingival. Studiile au demonstrat generarea redusă a speciilor reactive de oxigen la pacienţii diabetici, ceea ce se traduce prin diminuarea activităţii inflamatoare. Irigatorul oral are şi abilitatea demonstrată de a livra un agent antimicrobian în punga parodontală. Comparat cu clătirea orală efectuată cu un agent, duşul bucal a demonstrat efecte mai bune de reducere a sângerării, gingivitei şi bacteriilor patogene, dar şi îmbunătăţirea parodontală la pacienţii cu: dispozitive ortodontice, implanturi, gingivită, diabet, punţi şi coroane. ¤

Use of Fluoride Products for Young Patients at High Risk of Dental Caries by Theodore P. Croll, DDS; and Joel H. Berg, DDS, MS. Originally published in Compendium of Continuing Education in Dentistry 35(8) Sept 2014. Copyright © 2014 to AEGIS Communications. All rights reserved.

Despre autori
Theodore P. Croll, DDS
Affiliate Professor, Dept. of Pediatric Dentistry, Univ. of Washington School of Dentistry, Seattle, Washington; Adjunct Professor, Dept. of Pediatric Dentistry, Univ. of Texas Health Science Center at San Antonio, San Antonio, Texas; Private Practice, Doylestown, Pennsylvania
Joel H. Berg, DDS, MS Dean, University of Washington School of Dentistry, Seattle, Washington
Figura 1.
Metodă de periaj demonstrată la un copil de 5 ani.
ndiferent de succesul eforturilor depuse în stomatologia preventivă în rândul tinerilor, dentiştii care tratează copii şi adolescenţi se confruntă în mod obişnuit cu pacienţi care dezvoltă continuu carii dentare. Unii pacienţi pot fi pur şi simplu prea tineri şi, eventual, le poate lipsi dexteritatea manuală necesară sau abilitatea de a înţelege instrucţiunile cu privire la periaj şi flossing. Alţii pot avea părinţi sau aparţinători care nu sunt capabili sau dispuşi să efectueze zilnic îngrijirea orală ideală la domiciliu pentru cei aflaţi în grija lor. În plus, factorii socioeconomici şi alegerile alimentare slabe pot expune şi mai mult o parte dintre copii şi adolescenţi la un risc carios şi mai mare. La pacienţii pre- şi adolescenţi aflaţi sub tratament ortodontic, îngrijirea orală defectuoasă este foarte frecventă, adesea datorită lipsei de motivaţie pentru a avea grijă de dinţii lor, iar părinţii au o influenţă tot mai mică asupra comportamentului personal al copiilor lor în curs de maturizare.
Rezistenţa la carie poate fi crescută semnificativ prin utilizarea inteligentă a sigilanţilor pe bază de răşini adezive şi a produselor fluorurate sistemice şi topice.
Acest articol prezintă protocoalele de utilizare a fluorurilor locale aplicate în cabinet şi ale produselor fluorurate topice cu uz la domiciliu în rândul copiilor şi adolescenţilor cu risc carios crescut.
În experienţa autorilor, copiii cu risc carios crescut pot beneficia de expunerea intensă a dinţilor la anumite produse fluorurate topice mai frecvent decât în mod obişnuit, pentru a spori rezistenţa dentară la atacurile acide cariogene.
Tinanoff a descris influenţele "pre- şi post-eruptive" ale fluorurilor asupra smalţului dentar.
Un aspect esenţial constă în faptul că rolul expunerii continue sau frecvente la fluoruri topice a devenit cunoscut ca fiind mult mai important decât orice influenţă sistemică. Produsele topice nu diminuează rolul fluorului sistemic în primii 13-15 ani de viaţă, ci pur şi simplu accentuează importanţa efectului local. Tinanoff a relevat complexitatea aplicării topice a produselor fluorurate în cabinet (soluţii şi lacuri fluorurate profesionale) şi la domiciliu (paste de dinţi, ape de gură, geluri concentrate şi paste cu fluor oferite de dentişti sau prescrise). Problemele precum complianţa, supravegherea adulţilor, ingestia produselor cu conţinut de fluor (cu privire la fluoroza la nivelul dinţilor permanenţi în dezvoltare), frecvenţa utilizării şi natura (chimia) produselor



individuale sunt toate aspecte de considerat atunci când se decide modul de gestionare a pacienţilor tineri cu predispoziţie la carie.
În ultimii ani a existat o preocupare în cadrul profesiei dentare cu referire la folosirea studiilor bazate pe dovezi pentru a formula ghiduri destinate practicienilor dentari, respectiv părinţilor şi tutorilor, cu privire la utilizarea inteligentă a fluorurilor sistemice şi topice. Ingestia exagerată de fluoruri în anii copilăriei când are loc amelogeneza dinţilor permanenţi, poate conduce la fluoroză cu grade variate de severitate. Optimizarea beneficiilor anti-carie ale utilizării topice şi sistemice a fluorurilor reprezintă un obiectiv al profesiei dentare, cu evitarea în acelaşi timp a riscului de dezvoltare la nivelul dinţilor permanenţi a "mineralizării defectuoase a smalţului", asociată cu excesul de fluoruri. Deşi marea majoritate a fluorozelor uşoare şi moderate se poate elimina sau îmbunătăţi dramatic cu ajutorul microabraziunii smalţului şi prin metodele de albire dentară, dentiştii încă încearcă să evite de la bun început modificările de culoare ale smalţului.Preocupările legate de utilizarea sistemică şi topică a fluorurilor nu se limitează la profesia dentară. Pediatrii au un interes deosebit vizavi de acest subiect şi deseori sunt primii
care sfătuiesc părinţii cu privire la utilizarea fluorurilor la sugari, copii mici şi preşcolari.
Lewis, care a oferit medicilor o detaliată privire în ansamblu a subiectului, a descris caracteristicile unui produs dentar ideal cu fluoruri, cu uz la domiciliu, după cum urmează:
• asimilare crescută a fluorului în smalţ pentru reducerea solubilităţii smalţului şi pentru a interfera cu metabolismul bacterian susţinut de placă;
• concentraţie redusă a fluorului pentru limitarea ingestiei de fluoruri;
• disponibilitatea sărurilor de calciu şi fosfat pentru a dirija dinamica remineralizare/ demineralizare în direcţia remineralizării;
• gust bun, plăcut pentru copii;
• neiritant pentru ţesuturile gingivale şi mucoasa din jur, şi biocompatibilitate.
Ţinând cont de cele de mai sus, prezentul articol oferă protocoale de utilizare pentru produsele aplicate local în cabinet şi cele cu uz zilnic la domiciliu în cazul copiilor şi al adolescenţilor cu risc carios crescut. Protocoalele iau în considerare siguranţa (pentru minimizarea ingestiei de material), costurile, caracterul practic, eficienţa şi frecvenţa intervenţiei.
Figura 2. Părintele, aşezat în spate, efectuează flossing-ul la un copil în vârstă de 5 ani, al cărui cap este sprijinit de şoldul mamei sale.
2
În mod tradiţional, vizitele dentare preventive de rutină pentru copii sunt programate la intervale de câte 6 luni. Asemenea şedinţe includ în general o examinare, profilaxie dentară şi aplicarea soluţiilor fluorurate în gutiere. Actualmente aplicarea gutierelor este înlocuită de aplicarea lacurilor cu fluor. Autorii recomandă, ca pentru asemenea vizite preventive, pacienţii cu risc crescut să fie dispensarizaţi la intervale de 2, 3 sau 4 luni. Frecvenţa unor astfel de şedinţe poate fi apreciată de către medicul dentist şi igienistul dentar în mod subiectiv, în funcţie de necesităţile individuale ale pacientului şi performanţa personală sau parentală (a îngrijitorului) în îngrijirea sănătăţii orale la domiciliu. Desigur, frecvenţa poate creşte sau scădea, pe măsură ce îngrijirea la domiciliu se îmbunătăţeşte sau nu.
Igienizările dentare profesionale suplimentare cu cupe rotative din cauciuc nu sunt necesare cu ocazia fiecărei vizite; o curăţare dentară completă cu ajutorul unei perii de dinţi, cu aţa interdentară, alături de aplicarea cu peria a unei soluţii fluorurate, urmată de aplicarea generală a lacului cu fluor poate fi suficientă şi rapidă.


Figurile 3. Extinderea firelor periei sub arcul de sârmă şi între bracket-urile ataşate de dinţi pentru eliminarea completă a biofilmului, plăcii şi resturilor alimentare. 4. Dinţi lipsiţi de placă, dar cu debut de decalcifiere. Expunerea frecventă la fluoruri şi eliminarea ideală a plăcii încetează procesul de decalcifiere în asemenea cazuri.
Bineînţeles, este nevoie de atenţie suplimentară în cazul pacienţilor care dezvoltă tartru dentar şi pete extrinseci superficiale. Aceste servicii ar trebui realizate de către un igienist, cu consolidarea concomitentă a educaţiei privind periajul şi curăţarea interdentară pentru părinţi şi pacienţi. În unele cabinete, aceste şedinţe preventive suplimentare sunt oferite la tarife semnificativ reduse sau în mod gratuit, în funcţie de politicile cabinetului şi frecvenţa necesară.
Părinţii sau celelalte persoane îngrijitoare sunt cei mai importanţi parteneri în eforturile de a obţine o copilărie fără carii pentru copiii lor. Ei trebuie să supravegheze şi să se asigure de faptul că atât copiii mai mari, dar şi adolescenţii cu dispozitive ortodontice care sunt capabili de îngrijirea la domiciliu reuşesc de fapt acest lucru. Ei ar trebui, de asemenea, să asigure asistenţă hands-on pentru majoritatea copiilor cu vârsta sub 10 ani.
În cazul copiilor mici, al preşcolarilor şi al copiilor cu vârsta de şcoală elementară expuşi unui risc crescut, periajul de rutină după micul dejun şi înainte de culcare, alături de igieniza-
rea interdentară se pot obţine rapid şi eficient. Pentru aceasta, copilul se aşează în faţă, cu capul sprijinit pe şoldul îngrijitorului, iar mâna care nu periază susţine capul copilului (fig. 1). Utilizând o doză mică din pasta de dinţi sau gelul cu fluor, se poate realiza un periaj minuţios. Apoi, din aceaşi poziţie, se efectuează flossing-ul între dinţii aflaţi în contact (fig. 2). Soluţia fluorurată se vehiculează în spaţiile proximale cu ajutorul aţei interdentare.
Dentifricele sau gelurile fluorurate cu conţinut fluorurat mult mai mare decât pastele de dinţi comerciale se utilizează pentru a spori expunerea smalţului şi asimilarea fluorului. Timp de mulţi ani, pastele de dinţi şi gelurile cu fluorură de sodiu cu concentraţia de 5.000ppm erau disponibile direct la medicul stomatolog sau prin prescripţie medicală.
Deşi clătirea cu apă ar trebui evitată după un asemenea periaj şi flossing efectuat cu fluoruri concentrate, trebuie alocată atenţie pentru a şterge fluidul în exces sau copilul trebuie rugat să expectoreze, pentru a minimiza ingestia gelului sau a dentifricelor utilizate.
Copiii cu risc carios crescut şi adolescenţii care poartă aparat ortodontic fix trebuie instruiţi cu privire la angulaţia
firelor de perie şi utilizarea judicioasă a aţei interdentare, introdusă cu suporturi speciale, cu utilizarea simultană a produselor dentifrice fluorurate concentrate la domiciliu (fig. 3, 4). În aceste cazuri, firele periei trebuie extinse sub arcul de sârmă şi între bracket-urile ataşate de dinţi pentru eliminarea completă a biofilmului, plăcii şi resturilor alimentare.
Autorii recunosc faptul că recomandările de mai sus sunt subiective şi că nu există studii care să verifice valoarea exactă a oricăruia dintre aceste modele de utilizare a fluorurilor în cabinet sau la domiciliu.
Totuşi, bazate pe logică şi pe zeci de ani de experienţă în folosirea acestor practici, recomandările sunt considerate utile, sensibile şi în deplină armonie cu recomandările actuale ale Asociaţiei Dentare Americane şi ale Academiei Americane de Stomatologie Pediatrică.
Accentuarea educaţiei privind îngrijirea orală la domiciliu, consilierea nutriţională şi consolidarea repetată a instrucţiunilor de îngrijire orală cu ocazia controalelor periodice a dus la o mai bună sănătate orală în rândul multor copii tineri şi adolescenţi. ¤

Despre autor
Prof. Dr. Jürgen Manhart Dept. de Medicină Dentară Restaurativă şi Periodontologie München, Germania; www.manhart.com
Autorul oferă seminarii şi workshop-uri în medicina dentară restorativă,estetică dentară (materiale compozite, ceramică totală, pivoţi endodontici, planificarea viitorului plan de tratament estetic)
Materialele compozite au fost utilizate trei decade ca soluţie alternativă a amalgamului în zonele posterioare ce suportă forţe masticatorii. Datele clinice înregistrate în anii '80 nu erau satisfăcătoare, în primul rând din cauza proprietăţilor mecanice insuficiente. Fracturile, deteriorările marginale şi infiltraţiile urmate contracţiilor post-polimerizare au limitat durabilitatea restaurărilor. Cercetările aprofundate din domeniul compozitelor şi al sistemelor adezive au micşorat sau eliminat aceste dezavantaje. Cu toate acestea, efectele negative ale contracţiei la polimerizare (integritatea marginală deficitară, insuficienta aderenţă la pereţii cavităţii sau devierea cuspidiană) reprezintă încă cea mai mare problemă a compozitelor. În funcţie de tipul şi dimensiunea particulelor anorganice, compozitele se clasifică în convenţionale, cu macro- sau microparticule de umplere şi hibride.
Dezvoltarea compozitelor derivate a impus o subclasificare adiţională pe baza conţinutului de umplere (ce afectează vâzcozitatea materialelor compozite) sau în funcţie de diferitele matrice de monomeri (metacrilaţi clasici, metacrilaţi modificaţi cu acid, ormoceri cu matrice anorganice -organice, sisteme închise de tip silorane). Compozitele sunt utilizate prin tehnica de aplicare în straturi, de obicei individuale, cu o grosime de maxim 2mm. Fiecare strat este polimerizat separat printr-o expunere de 10-40sec în funcţie de intensitatea luminii de polimerizare şi nuanţa compozitului.
POSTERIOARE
Materialele compozite au devenit integrate în tratamentele restaurative moderne datorită spectrului larg de indicaţii, stabilizării ţesutului dentar dur, statusului economic şi facilităţii de aplicare în comparaţie cu restaurările indirecte alternative. Declaraţia în comun a Asociaţiei Germane de Medicină Dentară Operativă (DGZ) şi a Asociaţiei Germane de Ştiinţe Dentare (DGZMK) în legătură cu restaurările compozite directe posterioare (indicaţii şi longevitate) din 2005 sumarizează indicaţiile dovedite ştiinţific: cls. a V-a, cls. I, cls. a II-a (incluzând înlocuirea cuspizilor individuali).
Indicaţiile restrictive includ: cazuri de acces restricţionat, vizualizare limitată a zonei de lucru, adaptări marginale instabile sau puncte de contact problematice; pacienţi cu parafuncţii severe şi lipsă de suport ocluzal al dintelui antagonist pe smalţ; igienă orală deficitară (în special interdentar).
Producător: VOCO GmbH PO Box 767, 27457, Cuxhaven, Germania, www.voco.com, info@voco.com
VOCO în România: Tel: 0728 097 860
Sunt contraindicate în situaţiile clinice în care nu se poate menţine un control al umidităţii sau în cazurile de alergii la componentele compozitelor sau/şi la sistemele adezive. Astăzi, compozitele hibride sunt preferate pentru restaurări directe permanente ale leziunilor carioase primare sau pentru înlocuirea obturaţiilor deficitare posterioare. Esenţiale sunt utilizarea corectă a tehnicii cu matrice dar şi controlul umidităţii cavităţii.
Compozitele hibride conţin un amestec de praf de siliciu sau particule de cuarţ cu o dimensiune de µm şi particule de umplere de dioxid de siliciu (SiO2). În funcţie de dimensiunea medie a particulelor, se descriu: compozite hibride (<10µm), hibride cu particule fine (<5µm), ultrafine (<3µm) şi submicronice (<1µm).
Datorită conţinutului şi a tehnologiei de realizare a materialului de umplere, compozitele hibride prezintă proprietăţile fizice şi mecanice necesare pentru o restaurare permanentă reuşită chiar şi a cavităţilor extinse anterioare (cls. a IV-a) şi posterioare (cls. I, II) ce suportă forţele masticatorii.
În plus, compozitele hibride moderne cu particule de umplere fine, ultrafine şi submicronice asigură proprietăţi excelente de finisare a suprafeţelor, cu durabilitate îndelungată a aspectului de strălucire. Astfel, aceste compozite pot fi utilizate pentru toate clasele de cavităţi, de unde şi denumirea de compozite universale. Pot fi inserate prin tehnica policromatică în straturi a diferitelor nuanţe de dentină şi smalţ, sau a unei singure nuanţe.
Figurile
1. Aspect preoperator: restaurare deficitară din amalgam la nivelul 1.6.
2. Alegerea nuanţei folosind cheia de culori specifică compozitelor.
Compozite hibride modificate nanotehnologic

În afară de particule de umplere de siliciu, acestea conţin nanoparticule similare ca dimensiune microparticulelor de umplere, însă mai uniform distribuite în matricea organică. Conţinutul de umplere e similar compozitelor hibride, prezentând aceleaşi proprietăţi mecanice, fiind indicate atât în regiunile anterioare, cât şi posterioare.
O pacientă (39 ani) se prezintă pentru înlocuirea cu compozit a unei obturaţii din amalgam de la nivelul molarului maxilar 1.6. Dintele nu era sensibil la percuţie şi a răspuns pozitiv la testul de sensibilitate la aer rece.
După periajul profesional cu pastă de dinţi fără fluor şi cupă siliconică de profilaxie (fig. 1) şi înaintea inserării


digii dentare, se alege nuanţa compozitului prin comparaţia cu dintele umed, evitând un contrast puternic cu dinţii învecinaţi (fig. 2). În caz contrar, procesul reversibil de albire datorat lipsei de umiditate salivară de pe suprafaţa dentară cât şi contrastul puternic dat de culoarea digii pot îngreuna alegerea corectă a nuanţei.
După îndepărtarea amalgamului (fig. 3) şi finisarea marginilor cavităţii, se inseră diga (fig. 4). Sistemul de digă izolează zona de lucru, asigurând eficienţa prin crearea unei suprafeţe curate şi absenţa contaminării cu sânge, lichidul din şanţul gingival şi salivă. Contaminarea smalţului şi a dentinei ar genera adeziunea redusă a compozitului la substanţa dură dentară, cu afectarea în timp a succesului restaurării şi a integrităţii marginale. În plus, diga protejează cavitatea orală de contactul cu subtanţe iritante precum



sistemele adezive. De aceea, sistemul de digă este un instrument esenţial pentru simplificarea procesului de lucru şi asigurarea calităţii în tehnica adezivă. Efortul minim necesar pentru aplicarea acestuia este compensat de evitarea schimbării rulourilor izolatoare şi a clătirilor repetate.
Urmează etapa adezivă prin aplicarea unei doze generoase a sistemului adeziv Futurabond DC (VOCO GmbH) pe smalţ şi dentină (fig. 5). După 20sec de spatulare, solventul se evaporă cu ajutorul jetului de aer, apoi se fotopolimerizează sistemul adeziv pentru 10 sec (fig. 6). Rezultatul obţinut trebuie să fie o suprafaţă lucioasă a cavităţii, acoperită uniform cu substanţa adezivă (fig. 7). Cavitatea trebuie atent verificată înainte de aplicarea materialului de restaurare, deoarece orice zonă a acesteia ce apare nelucioasă indică

Figurile
3. Aspectul cavităţii după îndepărtarea restaurării din amalgam.
4. După preparare, dintele a fost izolat cu ajutorul digii dentare.
5. Aplicarea sistemului adeziv Futurabond DC pe smalţ şi dentină cu ajutorul unei perii aplicatoare mici.
6. Fotopolimerizarea sistemului adeziv.
7. Cavitatea, acoperită uniform cu sistemul adeziv, are un aspect lucios.




lipsa unei cantităţi suficiente de adeziv. Acest fapt ar conduce la reducerea rezistenţei de adeziune şi, în acelaşi timp, la o incorectă acoperire a dentinei ceea ce cauzează sensibilitatea ulterioară a dintelui. Dacă la inspecţia vizuală se identifică astfel de zone, sistemul adeziv trebuie reaplicat la nivelul acestor suprafeţe.
Cavitatea este apoi restaurată cu compozit hibrid modificat cu nanoparticule GrandioSO (VOCO GmbH), utilizând tehnica de aplicare în straturi a unei singure nuanţe. Pasul iniţial constă din aplicarea unui strat orizontal de 2mm grosime din nuanţa A2, direct din capsulă, pe zona de restaurat (fig. 8) şi apoi fotopolimerizarea pentru 10sec cu lampa de tip LED (cu intensitate luminoasă >800 mW/cm²). S-a creat astfel o zonă bazală uniformă pe care relieful ocluzal poate fi ulterior finalizat prin aplicarea oblică de straturi suplimentare de compozit.
S-au modelat şi apoi fotopolimerizat câte 10sec, în ordine: cuspidul meziopalatinal (fig. 9), cel distopalatal şi extensia palatală a cavităţii (fig. 10).
Cuspizii mezio- şi distovestibulari au fost reconstituiţi cu ajutorul a două straturi de compozit (fig. 11) ce s-au fotopolimerizat câte 10 sec (fig. 12). O atenţie trebuie acordată detaliilor ocluzale şi îndepărtării excesului de material în faza elastică pentru a facilita şi restrânge procesul de finisare.
După îndepărtarea sistemului de digă, restaurarea din compozit prezintă deja contururi ocluzale satisfăcătoare. După finisarea cu freza diamantată fină şi polişarea preliminară cu gume de finisat impregnate cu diamant Dimanto (VOCO GmbH) s-a verificat şi corectat ocluzia, atât dinamică cât şi statică, cu ajutorul hârtiei de articulaţie. Etapa de lustruire până la luciul final a fost executată cu Dimanto pe care se aplică o forţă mult mai mică.
Imaginea finală (fig. 13) a obiectivat o restaurare estetică şi funcţională realizată cu compozit hibrid modificat cu nano-particule GrandioSO (VOCO GmbH) aplicat prin tehnica de stratificare cu o singură nuanţă.

Figurile
8. Primul strat orizontal de material compozit GrandioSO şi fotopolimerizarea.
9. Al doilea strat de compozit reface cuspidul meziopalatinal, ulterior fotopolimerizat.
10. Cu al 3-lea strat de compozit, se modelează şi fotopolimerizează cuspidul distopalatinal.
11. Modelarea completă a suprafeţei ocluzale.
12. Fotopolimerizarea finală.
Compozitele directe asigură restaurări permanente posterioare de calitate în zone cu forţe masticatorii mari. Rezultatele studiilor ştiinţifice au demonstrat că raportul de supravieţuire anuală a acestor restaurări nu este cu mult diferit de cel al obturaţiilor din amalgam. Însă pentru a asigura o adaptare marginală perfectă sunt obligatorii: aplicarea corectă a matricei interproximal, un sistem adeziv eficient pentru dentină, o procesare corectă a materialului de restaurare şi obţinerea unui nivel suficient de polimerizare al compozitului. Predilecţia sporită a pacienţilor către estetică se traduce şi prin refuzul restaurărilor metalice posterioare. Performanţa dovedită clinic a compozitelor pentru restaurări directe le-a inclus ca alternative performante ale inlay-urilor ceramice. ¤
Figura
13. Aspectul final al restaurării după finisare şi şlefuire (se remarcă refacerea cu succes atât a formei, cât şi a funcţionalităţii dintelui afectat).

Grandio®SO, material compozit pentru restaurări în zonele anterioare şi posterioare, nano hibrid, universal pentru toate clasele de cavităţi ce satisface cele mai înalte cerinţe ale restaurărilor. Grandio®SO este indicat pentru restaurările cavităţilor de clasa I-V, reconstrucţia dinţilor din zona anterioară ce prezintă traume, fixarea şi imobilizarea dinţilor ce prezintă mobilitate, corecţii de formă şi nuanţă pentru a îmbunătăţi aspectul estetic, reconstituiri de bonturi pentru coroane, şi fabricarea incrustaţiilor de tip inlay din material compozit.

elasticitate (16,65 GPa) şi comportamentul de expansiune termică (α = 27,3 x [10-6 x K-1), similar ca şi duritate cu dentina, duritate foarte mare a suprafeţei (210,9 MHV), abraziune scăzută (18 µm, ACTA cu 200.000 de cicluri), precum şi un echilibru optim între translucenţă şi opacitate. Grandio®SO se lustruieşte foarte bine, şi datorită rezistenţei mărite la abraziune restaurarea rămâne permanent lucioasă. 16 nuanţe diferite, inclusiv noile nuanţe de GA3.25 şi GA5, acoperă întregul spectru de nuanţe relevant pentru medicul dentist.
Aplicare facilă
Grandio®SO – compozitul cu nuanţa cea mai apropiată de dintele natural
Grandio®SO iese în evidenţă datorită proprietăţilor sale deosebite şi, la scară globală, este materialul cel mai similar cu nuanţa dintelui natural în suma parametrilor săi fizici. Acest nou material compozit oferă restaurări la fel de durabile cât şi estetice, prezentând: conţinut foarte ridicat al matricei de umplere (89 w/w%), contracţie mică (1,61%), rezistenţă mare la compresiune şi flexiune (439 MPa şi respectiv 187 MPa), modul de
În acelaşi timp, Grandio®SO permite prin proprietăţile sale şi o aplicare facilă. Datorită consistenţei sale bune, acest material este uşor modelabil şi nu are tendinţa de a se lipi de instrument. În plus, Grandio®SO combină proprietăţi de modelare într-un timp excepţional de îndelungat la lumina ambientală cu un timp foarte scurt de priză în timpul polimerizării . Este posibil de a polimeriza fiabil materialul în 10 secunde per strat de 2mm. Grandio®SO este disponibil şi în seringi uşor de folosit precum şi în capsule deosebit de economice. ¤
Producător: VOCO GmbH, P.O. Box 767, 27457 Cuxhaven, Germania
www.voco.com, info@voco.com
Contact presă: Dr. Olaf Krems, VOCO GmbH – Public Relations
Tel: +49 (0) 4721 719-187, E-mail: o.krems@voco.de
VOCO în România: 0728 097 860
CEA MAI COMPLETĂ, MODERNĂ ŞI ACTIVĂ PLATFORMĂ STOMATOLOGICĂ DE COMUNICARE ŞI ŞTIINŢIFICĂ
DIN ROMÂNIA
Revista tipărită se extinde în digital prin aplicaţia pentru tabletă: Dental News
Amplificăm informaţiile tipărite prin postarea unor link-uri externe către site-urile colaboratorilor, oferindu-vă conţinut suplimentar. Paginile revistei devin interactive; descoperiţi-le, descărcând aplicaţia Dental News!
După instalare, în cadrul aplicaţiei vă puteţi crea contul personal pentru a descărca revistele şi a beneficia de propria librărie digitală cu toate numerele din 2013, 2014 şi evident viitoare.
Puteţi să vă construiţi colecţia personală a revistei Actualităţi Stomatologice, dar şi mult mai mult de atât. Aplicaţia vă permite să fiţi la curent cu cele mai noi articole disponibile doar în format digital, să vizionaţi conţinut extins, să folosiţi bookmark-uri digitale pentru a păstra la îndemână conţinutul interesant, să găsiţi printr-o singură atingere calea către site-urile partenerilor noştri sau către informaţii suplimentare despre produsele, ofertele şi serviciile care vă interesează. Un univers nou se deschide acum, un univers cu mai multă informaţie, mai mult conţinut, mai multă putere pentru profesia noastră!
Aplicaţia este disponibilă GRATUIT, pentru tabletele Apple şi Android.


Complex Esthetic and Functional Rehabilitation with an Additive, Minimally Invasive Restorative Approach by Christopher CK Ho, BDS (Hon), Grad Dip Clin Dent, M Clin Dent. Originally published in Compendium of Continuing Education in Dentistry 35(6) June 2014. Copyright © 2014 to AEGIS Communications. All rights reserved.

Despre autor
Christopher CK Ho, BDS (Hon) Grad Dip Clin Dent, M Clin Dent Private Practice, Sydney NSW, Australia
Recunoaştere: Brad Grobler, dental ceramist
Tratamentul uzurii dentare extinse poate fi complex, în primul rând din cauza dificultăţii de a determina sursa a ceea ce deseori reprezintă o etiologie multifactorială, apoi de a stabili un diagnostic corect şi, un management general al pacientului. Pacienţii pot solicita asistenţă stomatologică iniţială în încercarea de îmbunătăţire a aspectului estetic, fără a înţelege pe deplin sursa, complexitatea sau problemele asociate cu uzura dentară.
Simptomele tipice ce însoţesc uzura dentară includ: estetica defectuoasă, fisurarea sau subţierea şi/sau fractura dinţilor, îndeosebi a muchiilor incizale; hipersensibilitatea dentinară; dimensiunea verticală de ocluzie (DVO) redusă; şi înălţimea minimă a dinţilor. Alte semne ale uzurii dentare pot fi: defecte erozive clasice pe supra-
Odată cu dezvoltarea tehnicii aditive, o dentiţie se poate restaura într-o manieră mult mai conservatoare printr-o abordare aditivă. Această prezentare descrie conceptele cuprinse într-o reabilitare complexă care implică eroziunea dentară, utilizând deopotrivă restaurări directe şi indirecte cu un risc biologic minim pentru pacient.
feţele ocluzale şi incizale; concavităţi largi pe suprafeţe netede de smalţ; pierderea smalţului şi expunerea dentinei; şi restaurări "ridicate" de pe structurile dentare. În plus, pacientul poate fi îngrijorat în privinţa accesibilităţii financiare a tratamentului datorită posibilului caracter complex al problemelor.
Pierderea patologică a structurilor dentare poate fi cauzată de un singur factor sau, mai frecvent, de etiologii multiple.
Eroziunea
Reprezintă pierderea progresivă a substanţei dentare prin procese chimice ce nu implică acţiune bacteriană. Se poate datora unei surse externe, cum ar fi un obicei alimentar dezechilibrat cu consum ridicat de alimente şi lichide acide, precum şi producţiei intrinseci anormale de acizi generată de bulimie, bolii de reflux gastro-esofagian (GERD) şi herniei hiatale. Alţi factori suplimentari pot include: rata insuficientă a fluxului salivar sau modificările în capacitatea de tamponare sau în compoziţia salivei induse de diferite afecţiuni, medicaţii sau înaintarea în vârstă.











Figurile 2. Poziţia de repaus. 3. Zâmbetul complet cu afişarea minimă a dinţilor.
Este fenomenul de uzură anormală a substanţei dentare cauzată de alţi factori decât masticaţia, de exemplu periajul dentar.
Atriţia
Presupune uzura rezultată în urma masticaţiei sau parafuncţiei, limitată la suprafeţele ocluzale ale dinţilor.
Abfracţia
Include pierderea structurii dentare datorată forţelor biomecanice (flexiune, compresie sau tensiune) sau degradare chimică; este cea mai vizibilă sub forma leziunilor în formă de "V" în regiunea cervicală a unui dinte.
Din punct de vedere istoric, managementul pacienţilor cu uzură dentară excesivă se baza pe protetica fixă convenţională ce implica adesea prepararea de coroane pe


dinţii compromişi.
Această abordare creşte riscul biomecanic al dentiţiei datorită reducerii structurilor dentare, cu impact negativ asupra rigidităţii structurale a dinţilor.
Edelhoff & Sorenssen au constatat că se putea îndepărta chiar şi 62-73% din structura dentară în cursul preparării pentru o coroană integral ceramică cu contur total sau o coroană metalo-ceramică.
Înălţimea minimă a dinţilor după preparare produce o retenţie insuficientă sau o formă de rezistenţă redusă pentru coroane convenţionale.
O înălţime axială de 4mm este necesară pentru o formă de retenţie suficientă iar, pentru a obţine înălţimea axială necesară şi implicit o formă de retenţie adecvată, pot fi necesare proceduri osoase de alungire coronară sau preparaţii subgingivale.
Mai mult, abordarea convenţională poate duce la pierderea vitalităţii pulpare a dinţilor. Dinţii preparaţi pentru restaurări convenţionale
fixe necesită tratament endodontic într-o proporţie de 6-11%. Această abordare este invazivă şi ireversibilă.
Odată cu dezvoltarea agenţilor adezivi, clinicienii dispun de mijloace de restaurare mult mai conservatoare prin intermediul abordării aditive, cu avantaje ferme: forma de retenţie şi rezistenţă irelevantă; adeziunea la smalţ predictibilă; risc endodontic redus; maximizarea structurii dentare; caracterul conservator şi minim invaziv.
Studiul de caz prezentat încontinuare va descrie conceptele implicate într-o reabilitare complexă utilizând restaurările directe şi indirecte, cu risc biologic minim.
Pacienta (41 ani) s-a prezentat la cabinetul autorului fiind preocupată de pierderea generalizată a structurii dentare și în consecinţă, de estetica defectuoasă (fig. 1).

Figurile 4, 5. Wax-up diagnostic maxilar şi mandibular.

Istoricul includea bulimia, o stare cu episoade repetate de alimentaţii compulsive (consumul unor cantităţi mari de alimente) cu sau fără vărsături sau purgaţii autoinduse.
Datorită expunerii mediului oral la acizii gastrici, fenomenul a dus la eroziunea tuturor dinţilor maxilari şi mandibulari anteriori.
Pacienta a raportat sensibilitatea ocazională bilaterală a muşchiului maseter. Relatează că "în ultimii ani, dinţii se uzau şi muşcătura se schimbase". Părea că atriţia se datora mai degrabă eroziunii chimice decât forţelor funcţionale. Simptomele funcţionale ale sensibilităţii musculare erau secundare ocluziei instabile rezultată în urma eroziunii.
În momentul examenului clinic nu s-a constatat nicio leziune carioasă, dar mai multe obturaţii erau defectuoase; nu s-au detectat probleme parodontale. Pierderea suprafeţelor dentare era generalizată,
implicând dinţii ambelor arcade şi cu extindere în stratul dentinar la dinţii anteriori, unde se asocia şi subţierea şi fisurarea muchilor incizale, rezultând astfel o înălţime redusă a coroanei clinice.
Diagnosticul de uzură dentară necesită identificarea etiologiei, deseori multifactorială. Identificarea acestor factori este importantă pentru a conserva dentiţia restantă şi a îmbunătăţi prognosticul pe termen lung al oricărui tratament restaurator.
În acest caz, s-a stabilit diagnosticul de uzură dentară generată de eroziunea din perioada de bulimie, cu etiologie secundară de bruxism. Expunerea cronică la substraturile acide a dus la exprimarea dentinei, starea fiind exacerbată de obiceiurile parafuncţionale.
Pacienţii cu uzură dentară genera-
lizată deseori nu afişează pierderea DVO pentru că pierderea suprafeţelor dentare survine foarte lent, ceea ce oferă timp compensării alveolare. Totuşi, în cazurile în care pierderea de suprafaţă este activă şi rapid progresivă, aceasta poate duce la diminuarea DVO, întrucât compensarea alveolară nu poate ţine pasul la aceeaşi rată. În ocluzie, pacienta de faţă părea cu o înălţime redusă a etajului facial inferior din cauza pierderii DVO, ce nu a fost complet contracarată de compensarea alveolară.
După evaluarea DVO existente şi a spaţiului freeway, pacienţii cu uzură generalizată se pot include în una dintre cele trei categorii propuse de Turner şi Missirlian:
Categoria 1: uzură excesivă cu pierderea DVO.
Categoria 2: uzură excesivă fără pierderea DVO, dar cu spaţiu disponibil pentru restaurare.


Categoria 3: uzură excesivă fără pierderea DVO, dar cu spaţiu limitat pentru restaurare datorită încălcării spaţiului freeway
Pacienta se încadra în prima categorie, iar obiectivele tratamentului constau în:
• refacerea esteticii dentofaciale;
• restaurarea DVO şi îmbunătăţirea funcţiei ocluzale, stabilind o poziţie stabilă a IM cu contacte ocluzale simultane bilaterale;
• restaurarea şi protecţia structurilor dentinare expuse şi compromise structural, cu forme de preparaţie minimă sau nule pentru a preveni eroziunea dentară ulterioară.
Extinderea distrucţiei a necesitat o abordare de reabilitare. În regiunile cu uzură dentară minimă şi în absenţa îngrijorării pacientului, managementul situaţiei constă dintr-o abordare profilactică, cu educare şi consiliere. Monitoriza-
Figurile
6. Matricea siliconică a wax-up-ului diagnostic, ce a oferit un şablon pentru a permite construcţia cu răşină compozită.
7. Construcţii din răşină compozită, realizate individual pe şablon.
studiu montate într-un articulator semiajustabil. S-a efectuat wax-up diagnostic (fig. 4, 5), modificările fiind comunicate tehnicianului. Prescripţia ocluzală a inclus conturarea structurilor din ceară în aşa fel încât să asigure contacte uniforme bilaterale în poziţia de contact retrudat. Mai mult, planul a inclus asigurarea ghidajului anterior, ocluzie cu ghidaj canin în excursia laterală şi deplasări mandibulare protruzive cu separarea dinţilor posteriori.
rea se poate face cu ajutorul cheilor siliconice, fotografii şi modele de studiu. Prevenirea uzurii dentare depinde de complianţa pacientului în ceea ce priveşte modificarea alimentaţiei, utilizarea fluorurilor topice, folosirea gutierelor ocluzale, asistenţa medicală şi alte considerente terapeutice ce se extind dincolo de scopul acestui articol. Cheia succesului o reprezintă determinarea factorului etiologic primar, urmată de instituirea unui program preventiv pentru a împiedica deteriorarea ulterioară. Acest lucru este important şi în cadrul restaurării dentiţiei, pentru că tratamentul poate eşua dacă nu sunt abordate cauzele uzurii dentare.
Examenul extraoral a evaluat gradul de afişare incizală cu buza superioară în repaus (fig. 2), în timpul vorbirii şi al zâmbetului (fig. 3). Dinţii se afişau insuficient şi necesitau alungirii muchiilor incizale maxilare. După evaluarea intraorală comprehensivă, cu fotografii diagnostice, s-au realizat modele de
La final, planul terapeutic aprobat de pacientă a inclus următoarele: - mandibular: reconstrucţii directe din răşini compozite la nivelul 3.3.4.4. şi acoperirea ariilor cu dentină expusă la molarii 3.6., 4.6. şi 4.7. - maxilar: restaurări fără preparaţie la nivelul 1.7. şi 1.5.-2.4.; preparaţii minim invazive pentru onlay pe molarii 1.6., 2.6. şi 2.7. ce au fost restauraţi anterior.
Segmentul 3.3.-4.4. a fost preparat prin abraziune cu oxid de aluminiu 27µ şi prin tehnica adezivă cu gravare totală. Aplicarea răşinii compozite s-a realizat cu ajutorul unei matrice siliconice formată pe baza anatomiei palatinale stabilită la wax-up-ul diagnostic (fig. 6). Compozitul s-a adaptat în straturi consecutive, cu grosimea de până la 1,5mm. Utilizarea matricei permite plasarea compozitului pentru a forma conturul palatinal şi lungimea incizală a dinţilor (fig. 7) şi minimizează ajustarea de la finalizarea restaurărilor.
Hemmings et al au utilizat compozit direct pentru restaurarea dinţilor anteriori uzaţi cu o rată de succes de 89,4% după o perioadă de control medie de 30 de luni. Poyser et al au constatat la rândul lor o rată de eşec total de numai 6% în

8. Aspectul ocluzal al dentiţiei maxilare, demonstrând lipsa preparaţiei la majoritatea dinţilor şi îndepărtarea vechilor restaurări.
9. Restaurări provizorii răşinice bisacrilice.
10. Proba zâmbetului cu restaurările provizorii, comparativ cu aspectul facial preoperator, cu DVO redusă.
cazul restaurărilor compozite la dinţii anteriori mandibulari uzaţi, pe o perioadă de monitorizare de 2,5ani. Natura conservatoare, rentabilitatea şi reparabilitatea fac din răşinile compozite directe un material atractiv pentru tratamentul uzurii dentare.
La majoritatea dinţilor maxilari s-au planificat restaurări fără preparaţii (aditive), întrucât aceştia se aflau într-o poziţie axială lingualizată şi, mai mult, aveau nevoie de alungire pentru obţinerea unui aspect estetic. În plus, prin lipsa preparării dinţilor, restaurările se puteau ataşa preponderent la smalţ, la distanţă de regiunile ce prezentau dentină expusă pe suprafeţele incizale sau ocluzale.
Succesul şi predictibilitatea adeziunii la smalţ sunt factori majori în ceea ce priveşte longevitatea şi durabilitatea restaurărilor. În cadrul unui studiu de 12 ani, întreprins de Gurel et al, cu 583 faţete, 42 (7,2%) au eşuat, dintre care cele ataşate la dentină şi cele cu margini de preparaţie în dentină fiind de cca


10 ori mai expuse la eşec decât cele cu adeziune la smalţ.
În cazul de faţă, la dinţii restauraţi premergător, s-au finalizat preparaţiile pentru a permite o cale de inserţie a onlay-urilor (fig. 8). S-a realizat o amprentă a preparaţiilor şi înregistrarea ocluziei la DVO planificată. S-a gravat punctiform un prototip estetic funcţional adeziv (bonded functional esthetic prototype, BFEP), ataşându-se adeziv în poziţie cu ajutorul unor chei siliconice pe baza wax-up-ului diagnostic (fig. 9). Aceasta a permis pacientei să evalueze "zâmbetul de probă" înainte de finalizarea restaurărilor definitive (fig. 10). Etapa de tranziţie oferă timp pentru acceptarea noului zâmbet propus, evaluarea modificărilor ocluzale generate de creşterea DVO şi stabilitatea ocluzală pe o perioadă de săptămâni sau chiar luni de zile.

Pacienta avea unele rezerve iniţiale cu privire la lungimea prototipurilor provizorii, situaţie deseori întâlnită în cazul pacienţilor supuşi unor transformări majore. Prin urmare, pacienţilor trebuie să li se ofere o perioadă de timp pentru a se adapta cu noua lor imagine înainte de a decide cu privire la lungimea finală a dinţilor.
Restaurările provizorii s-au îndepărtat cu freza, cu atenţie în regiunile ataşate prin gravare punctiformă şi adeziune. Structurile dentare restante s-au tratat cu abraziune cu oxid de aluminiu (27µ diametru). Restaurările finale s-au fabricat şi aplicat individual pentru a aprecia adaptarea marginală şi punctele de contact (fig. 11).
Apoi restaurările s-au inserat cu gel transparent de probă pentru obţinerea aprobării pacientei înainte de cimentarea finală.


Fiecare restaurare a fost gravată cu acid fluorhidric 4,5% 20sec, urmată de curăţarea sărurilor chimice prin clătire şi introducerea într-o baie cu ultrasunete cu apă distilată. După uscarea cu aer, fiecare restaurare s-a silanizat minim 60sec.
Întrucât restaurările ceramice erau subţiri iar retenţia era redusă din cauza preparaţiei minime sau absente, cimentarea a fost adezivă, cu ciment răşinic. O adeziune răşinică durabilă oferă retenţie crescută, îmbunătăţeşte adaptarea marginală cu reducerea microscurgerilor şi creşte rezistenţa la fracturare a dinţilor restauraţi. Pe dinţi s-a aplicat adeziv printr-o tehnică cu gravare totală, iar restaurările s-au cimentat cu un ciment răşinic fotopolimerizabil în cazul dinţilor anteriori şi un ciment răşinic cu priză dublă în cazul onlay-urilor posterioare, care erau mai groase


pe secţiune. Autorul preferă să iniţieze cimentarea faţetelor pornind de la incisivii centrali, ceea ce permite orientarea corectă, simetrie şi echilibru. După poziţionarea faţetelor pe incisivii centrali, s-au aplicat faţetele următoare laterale, din partea stângă şi dreaptă.
Restaurările au fost apoi ajustate şi finalizate cu tehnici de lustruire şi finisare pentru ceramică. Marginile s-au finisat sub forma unor "margini infinite" (fig. 12-14). Odată ce marginile nu mai erau detectabile cu ajutorul sondei, ele s-au lustruit cu cauciuc şi pastă de lustruit cu diamante. S-a evaluat ocluzia şi s-a ajustat în RC, în deplasările laterale şi de protruzie şi, în final, anvelopa masticatorie. Din cauza bruxismului nocturn, s-a fabricat o gutieră ocluzală maxilară totală şi s-au oferit instrucţiuni detaliate cu privire la purtarea dispozitivului.
Figurile 11. Restaurările pe model şi demonstrarea creşterii lungimii incizale.
12. Restaurări finalizate la dinţii maxilari.
13. Aspectul frontal retractat. 14. Aspectul zâmbetului cu restaurările finalizate.
Scopul gestionării unei dentiţii uzate presupune determinarea factorilor etiologici şi instituirea unui program preventiv corespunzător pentru a proteja structura dentară restantă, cu restaurarea concomitentă a funcţiei, stabilităţii ocluzale şi a esteticii. Planificarea tratamentului necesită înţelegerea etiologiei şi include etapizarea reconstrucţiei conform cerinţelor funcţionale şi estetice. Se preferă o abordare minim invazivă sau fără preparaţii, precum şi utilizarea restaurărilor directe şi/ sau indirecte pentru reconstrucţia structurilor dentare pierdute, toate în cadrul tehnicii aditive. ¤

Titanium-Reinforced Interdental Peaks As a Simple Method for Papilla Preservation by Jacopo Castelnuovo, DDS, MSD; A. Burcin Sonmez, DDS, MSc; and John C.
, DMD, MSD. Originally published in Compendium of Continuing Education in Dentistry 35(8) Sept 2014. Copyright © 2014 to AEGIS Communications. All rights reserved.

Despre autori
Jacopo Castelnuovo, DDS, MSD Affiliate Assistant Professor, Graduate Prosthodontics, University of Washington, School of Dentistry, Seattle, Washington; Private Practice, Rome, Italy
Burcin Sonmez, DDS, MSc Resident, PhD Program, Department of Oral and Maxillofacial Sciences, University of Rome-La Sapienza, School of Dentistry, Rome, Italy; Private Practice, Rome, Italy
John C. Kois, DMD, MSD Director, Kois Center, Seattle, Washington
Recunoştere: Prof. Roberto Rocci, University of Rome - Tor Vergata
spectul estetic al unui zâmbet natural sau restaurat este rezultatul echilibrului dintre componentele gingivale şi dentare, cu configuraţia festonată a papilelor interdentare. În situaţiile cu parodonţiul sănătos, când distanţa dintre creastă şi punctul de contact dintre dinţii adiacenţi este de până la 4mm, iar distanţa interproximală dintre rădăcinile adiacente este de 2mm sau mai mică, vârful papilelor interdentare ocupă în totalitate spaţiul interdentar. Absenţa papilelor interdentare poate fi semnul unei stări patologice şi cauzează formarea "triunghiurilor negre" interdentare. Acestea nu au impact doar asupra zâmbetului, ci creează disconfort prin:
Tehnica descrisă în această prezentare de caz ilustrează modul în care mici bare din titan (TRIP) sunt poziţionate chirurgical la nivelul vârfurilor osoase interdentare cu scopul de a preveni resorbţia osoasă şi de a menţine înălţimea papilei. S-a creat şi s-a menţinut o arhitectură gingivală pozitivă chiar şi după extracţia mai multor dinţi în zona estetică.
impactarea în spaţiul interdentar a plăcii bacteriene şi a alimentelor; afectarea foneticii din cauza fluxului de aer din spaţiile interdentare deschise; şi/sau pasajul salivei prin spaţiile interdentare deschise în timpul vorbirii.
Papilele gingivale şi interdentare nu au o formă predeterminată, dar imită configuraţia osului subiacent. Prin urmare, pentru un aspect gingival natural este necesară anatomia festonată a osului de suport, care să asigure vârfuri interdentare osoase.
În stări patologice (parodontale) sau după anumite tratamente dentare, osul se resoarbe, se aplatizează şi se retrage, cu pierderea festonului gingival interdentar şi, prin urmare, a papilelor.
În consecinţă, dinţii par mai lungi, se expun porţiuni radiculare şi devin evidente "triunghiurile negre" interdentare.
Principalul determinant al înălţimii papilei interdentare este reprezentat de nivelul vârfurilor crestei osoase subiacente.
Astfel, prevenirea resorbţiei lor iatrogene devine fundamentală. Resorbţia osului interdentar poate surveni din cauza extracţiei (unică,


a-c: extracţia produce resorbţie osoasă interproximală şi formarea de triunghiuri negre.
d-f: inserarea preextracţională a barelor conservă osul şi papilele interdentare.
multiplă), substituţiei dinţilor prin implanturi (unice, multiple), chirurgiei parodontale, sau a preparării dinţilor prin nerespectarea lăţimii biologice.
În literatura ştiinţifică nu sunt disponibile tehnici predictibile pe termen lung pentru prezervarea vârfurilor osoase interdentare
şi a papilelor, chiar dacă este un subiect frecvent abordat. S-au sugerat: tehnici chirurgicale ţintite să reconstruiască papilele, proceduri chirurgicale sofisticate pentru prezervarea sau regenerarea papilelor cu succes îndoielnic pe termen scurt, injectări de gel cu acid hialuronic pentru a trata defectele papilare, prezervarea meticuloasă a vârfurilor osoase interdentare prin proceduri dentare atraumatice şi evitarea papilelor în cursul procedurilor chirurgicale atunci când este posibil, cu scopul de a preveni retracţiile nedorite.
Până în momentul de faţă nu este descrisă o metodă pentru prezervarea vârfurilor osoase interdentare şi, implicit a papilelor, cu ajutorul inserţiei chirurgicale a unui anumit material biocompatibil.
Substituirea unui dinte absent cu un implant de titan reprezintă o tehnică de succes, devenită posibilă datorită compatibilităţii crescute a titanului pur şi a aliajelor sale cu osul. La câteva săptămâni după inserarea chirurgicală, interfaţa os-metal se maturează, ducând la osteointegrare şi conferind stabilitate implantului ce urmează a fi restaurat.
Implanturile plasate în maxilare edentate nu asigură doar restaurarea, ci evită totodată resorbţia osoasă ulterioară în regiunile gazdă, chiar dacă sunt lăsate neîncărcate. Un studiu clinic retrospectiv a raportat că implanturile neîncărcate dar scufundate au suferit o pierdere osoasă mai mică decât implanturile funcţionale din vecinătate pe o perioadă de 12 ani. Această caracteristică importantă a titanului comercial pur (CP), a aliajelor sale, precum şi a altor materiale biocompatibile (cum ar fi zirconiul) se poate utiliza pentru a preveni resorbţia vârfurilor osoase interdentare.
Sistemul propus, cu vârfuri interdentare ranforsate cu titan (Titanium-Reinforced Interdental Peaks, TRIP) presupune introduce -
rea chirurgicală în grosimea osului interdentar a unor mini-bare din materiale biocompatibile, cum ar fi titanul (pur sau aliaj). Ideal, inserarea chirurgicală a acestora ar trebui realizată înainte de orice procedură ce ar cauza resorbţia vârfului osos interdentar (extracţie, inserare implant, chirurgie parodontală). După inserţie, barele biocompatibile se integrează în os, conservând înălţimea iniţială a vârfului osos interdentar în timp. Odată cu finalizarea procesului de osteointegrare a barei, se poate începe procedura dentară preplanificată, precum extracţia şi inserarea implantului, cu risc redus pentru resorbţia vârfului interdentar şi retracţia papilei.
În funcţie de situaţia clinică, procedura planificată se poate realiza imediat după inserarea barei, în aceeaşi şedinţă.
Dimensiunea barei biocompatibile poate varia în acord cu dimensiunea vârfurilor osoase interdentare pe care se aplică. Prototipul prezintă: 0,5mm lăţime x 1mm înălţime x 5mm lungime. Dimensiunile pot varia deopotrivă în funcţie de indicaţii. Instrumentarul pentru inserarea barelor trebuie să includă: unitate piezochirurgicală sau piese de mână sonice şi anse calibrate; compas cu aceleaşi dimensiuni ca şi bara pentru verificarea intraoperatorie a dimensiunii osteotomiei;
Rotație – când doriți. Reciprocitate – când aveți nevoie.

și 0º sens contrar acelor de
Deții controlul
Noua tehnologie este bazată pe un algoritm inteligent, patentat, realizat pentru a funcționa cu sistemul TF Adaptive. Această tehnologie permite sistemului să se adapteze la forțele de torsiune în canal, în funcție de presiunea la care este supus acul. Rezultă că instrumentul va efectua rotație sau reciprocitate în funcție de situație. Având la dispoziție designul Twisted File detritusul este indepărtat foarte eficient, în plus efectul de “pull in” este considerabil diminuat, datorită tehnologiei Mișcării Adaptive. De aceea vorbim despre rotație cănd doriți, reciprocitate când aveți nevoie.


– mișcarea acului când nu este supus la presiune. Reciprocitate:
în sensul acelor de ceasornic și
contrar acelor de ceasornic – când este .aplicată presiune.

a-c: extracţiile şi distanţa interimplantară redusă produc resorbţie interproximală ("triunghiuri negre").
d-f: inserarea barelor pre-extracţional alături de inserarea implanturilor adiacente conservă osul şi papilele interdentare.
bare biocompatibile; daltă pentru inserarea profundă şi stabilizarea primară a barei; ciocan chirurgical; membrane resorbabile-colagen pentru acoperirea grefei osoase deasupra osteotomiilor.
Sistemul TRIP se poate utiliza atât în situaţiile clinice pre- cât şi postextracţionale. Se pot descrie patru indicaţii majore:
(1) Prezervarea vârfurilor osoase interdentare între multiple pontice ovale (pre-extracţional) După o extracţie (fig. 1a), defectul crestal survine cu o incidenţă de 91%. Defectul poate fi combinat, vertical şi orizontal (55,8%), orizontal (2,9%) sau vertical (32,8%). De aceea, extracţiile convenţionale pot cauza aplatizarea crestei reziduale, cu resorbţia osului interdentar (fig. 1b). Odată inserată proteza cu multiple pontice ovale, resorbţia în timp a vârfurilor interdentare va cauza formarea "triunghiurilor negre" estetice (fig. 1c).
Prin utilizarea sistemului TRIP, barele se inseră chirurgical în vârfurile osoase, înaintea extracţiilor (fig. 1d). După finalizarea osteointegrării sau în cadrul aceleiaşi şedinţe (în cazul protocolului imediat), se extrag dinţii. Barele biocompatibile previn resorbţia vârfurilor osoase interdentare, similar implanturilor cu formă de rădăcină (fig. 1e). După aplicarea protezei finale, prezervarea înălţimii osului interproximal previne formarea "triunghiurilor negre" prin conservarea papilei (fig. 1f).
(2) Prezervarea vârfurilor osoase interdentare dintre implanturi adiacente (pre-extracţional) Când dinţii extraşi se înlocuiesc cu implanturi adiacente, defectul osos post-extracţional (fig. 2a, b) va fi accentuat de pierderea osoasă aferentă implanturilor. De obicei, în jurul fiecărui implant se înregistrează o componentă laterală de pierdere osoasă de 1,5mm. De aceea, o distanţă inter-implantară mai mică de 3mm va cauza aplatizarea vârfului osos dintre implanturi, ducând la "triunghiuri negre" interdentare, din cauza pierderii papilei (fig. 2c).
Cu sistemul TRIP (conform descrierii anterioare), barele se inseră în vârfurile osoase înainte de efectuarea extracţiilor (fig. 2d).
După finalizarea osteointegrării sau în cursul aceleiaşi şedinţe, dinţii se extrag, iar barele previn resorbţia vârfurilor osoase interdentare (fig. 2e). Apoi, implanturile se pot insera fie după un protocol imediat, fie amânat, în timp ce barele contracarează componenta laterală a pierderii osoase peri-implantare, prezervând astfel papilele şi evitând formarea "triunghiurilor" (fig. 2f).
(3) Prezervarea vârfurilor osoase interdentare între dinţi şi implanturi (pre-extracţional)
Pierderea osoasă interdentară după inserarea unui implant unic adiacent dinţilor naturali nu este la fel de critică dacă se folosesc tehnicile de prezervare a alveolei şi de extracţie atraumatice, evitând modificările morfologice ale crestei postextracţionale. În asemenea situaţii clinice, înălţimea osului interdentar se menţine prin prezenţa dinţilor naturali adiacenţi, iar vârfurile osoase sunt responsabile pentru stabilizarea poziţiei ţesuturilor moi supraiacente.
Dar, se știe că un anumit grad de resorbţie osoasă continuă post-extracţional, cauzând formarea "triunghiului negru" din cauza retracţiei ţesutului moale ce survine odată cu restaurarea implantului (mai pronunţată în cazul fenotipului subţire, mai redusă la cel gros).


a-c: dezvoltarea regiunii pontice ovale convenţionale sau a locaţiei pentru implantare poate duce la resorbţia osului interproximal nou modelat şi formarea "triunghiurilor".
d-f: inserarea barelor înainte de dezvoltarea regiunilor pontice ovale sau a celor pentru implantare prezervă osul şi papilele interdentare nou modelate.
Similar indicaţiilor anterioare, barele biocompatibile se inseră chirurgical în vârfurile osoase, înainte de extracţie. Implantul se poate insera ulterior, cu un protocol imediat sau amânat, în vreme ce barele biocompatibile contracarează pierderea laterală osoasă din jurul implantului, prezervând papilele şi prevenind formarea "triunghiurilor negre".
(4) Prezervarea vârfurilor osoase interdentare create iatrogen pentru pontice ovale multiple sau implanturi adiacente, conformarea regiunii (post-extracţional) La crestele edentate, se observă aplatizarea simultană a arhitecturii osoase şi gingivale (fig. 3a). Pentru a crea iluzia de papile interdentare în combinaţie cu pontice ovale sau implanturi adiacente, clinicianul poate recontura ţesutul moale şi osul subiacent cu o freză (fig. 3b).
Apoi, o restaurare fixă provizorie se rebazează în contact direct cu creasta nou modelată până la vindecarea completă sau până în momentul inserării implanturilor.
După realizarea ponticelor ovale multiple finale sau aplicarea restaurării cu sprijin implantar, vârfurile osoase interdentare (create iatrogen) se resorb în timp, cauzând retracţia papilelor interdentare şi formarea de "triunghiuri negre" (fig. 3c).
Conform alternativei TRIP, barele se inseră mai întâi în osul crestei edentate în conformitate cu poziţia dorită a noilor papile (fig. 3d). După finalizarea osteointegrării sau în cursul aceleiaşi şedinţe, clinicianul reconturează creasta astfel încât restaurarea provizorie se poate rebaza sau se pot insera implanturile (fig. 3e). După aplicarea restaurării finale, barele previn resorbţia vârfurilor osoase nou formate, evitând formarea "triunghiurilor" prin prezervarea papilelor interdentare (fig. 3f).
Prezentare de caz
Pacienta (68 ani), tratată anterior pentru parodontită localizată severă, se prezintă cu acuzele principale de prezenţă inestetică a spaţiilor interdentare şi compromitere a dinţilor frontali. Boala parodontală afectase arhitectura osoasă şi gingivală, cauzând migraţia dinţilor, supraerupţie, mobilitate, evazare şi diasteme (fig. 4). Radiografiile obiectivau pierdere osoasă severă
şi un raport corono-radicular nefavorabil (fig. 5).
Planul de tratament va include extracţia celor patru incisivi maxilari şi o proteză parţială fixă, cu patru pontice ovale. Provocarea va consta în recrearea arhitecturii osoase şi gingivale acolo unde se pierduse şi prezervarea sa unde încă era prezentă.
S-a utilizat sistemul TRIP, situaţia clinică încadrându-se în indicaţia de tip 1, pre-extracţional. Nu erau prezente contraindicaţii medicale sau dentare.
Pentru a corecta supraerupţia incisivilor maxilari, s-a fabricat un şablon estetic (vacuformare) din răşină acrilică fizionomică, evaluându-se poziţia muchiei incizale corecte în ansamblul facial. Informaţia s-a transferat pe modelul de studiu modificat, montat în articulator, cu scopul de a realiza un wax-up diagnostic.
Modificările efectuate pe model au constat în simularea extracţiilor şi modelarea alveolelor post-extracţionale pentru a reproduce ponticele ovale ideale şi pentru a restaura arhitectura gingivală pozitivă aplatizată de boala parodontală (fig. 6, 7). Wax-up-ul diagnostic s-a folosit pentru fabricarea restaurării provizorii, oferind totodată indicaţii
Pedala multifuncțională disponibilă în diferite modele care încorporează controlul scaunului pacientului și dinamica instrumentelor.


VA AŞTEPTĂM LA STANDUL NOSTRU DE LA DENTA ÎN PERIOADA 20-22 NOIEMBRIE





O gamă extinsă de reglaje pentru înălțime (între 42 și 75 cm, în funcție de model), înclinare, poziționare verticală - orizontală și suport lombar.

Str. Oltarului nr. 4, sector 2, 020765, București (Intersecția Calea Moșilor / Mihai Eminescu, la 200m către B-dul Carol I, pe partea dreaptă) Tel/Fax: 021 528 03 20 -21 -22 -23 info@sitea.ro, www.sitea.ro





Figurile
4. Aspect preoperator: arhitectură gingivală întreruptă şi migraţie dentară.
5. Rx preoperatorii: pierdere osoasă orizontală severă localizată.
Figurile
6. Model de studiu preextracţional cu nivelurile gingivale modificate (liniile roşii) şi poziţionarea barelor de titan (liniile verticale albastre).
7. Model de studiu modificat cu simularea extracţiilor dentare.
8. Wax-up diagnostic: proporţii inter- şi intradentare restaurate.
spaţiale în ceea ce priveşte poziţionarea mezio-distală a celor cinci bare de titan, în cadrul sistemului TRIP (fig. 8 - liniile albastre).
S-a practicat o incizie intrasulculară între 1.4.-2.4., cu expunerea osului interdentar. Pentru osteotomii s-a folosit o unitate piezochirurgicală cu ansele corespunzătoare. S-a utilizat un compas special cu forma şi dimensiunile barelor de titan pentru a măsura dimensiunea osteotomiilor. Barele din titan, fixate cu ajutorul penselor, s-au poziţionat (fig. 9) în lăcaşurile special create, apoi au fost introduse în profunzimea osului alveolar cu dalta şi ciocanul chirurgical, până la dobândirea stabilităţii primare (fig. 10). Apoi regiunile s-au acoperit cu material osteoconductor granulat şi benzi de membrane resorbabile. Lamboul s-a suturat cu fire resorbabile 4-0. La finalul procedurii, s-au efectuat radiografii intraorale pentru a verifica poziţionarea corectă a acestora (fig. 11).
La trei luni după inserarea barelor interdentare din titan, s-au extras incisivii maxilari. S-a rebazat o restaurare provizorie parţială fixă cu patru pontice ovale deasupra alveolelor postextracţionale grefate cu material osteoconductor şi s-a cimentat.
După două săptămâni de la extracţii, componenta gingivală îşi redobândise arhitectura pozitivă festonată (fig. 12). Provocarea constă acum în prezervarea sa în timp.
La o lună după extracţii şi inserarea restaurării provizorii fixe, s-au înregistrat anumite măsurători pentru a evalua în timp modificările înălţimii papilei. În acest scop, s-au introdus simetric, apical, între incisivii centrali şi laterali de partea dreaptă, respectiv stângă, două şuruburi ortodontice transcorticale din titan, pentru a servi ca puncte de referinţă (fig. 13). Distanţele s-au măsurat, cu un compas digital, de la centrul şurubului până la vârful fiecărei papile (fig. 14).
Măsurătorile s-au efectuat în 6 locaţii diferite la 1, 6 şi 12 luni de la momentul considerat iniţial (la 1 lună după extracţii). Toate determinările au început la 5 minute după îndepărtarea restaurării provizorii. Măsurătorile au fost efectuate pentru fiecare papilă separat, de câte trei operatori, consemnându-se la final valorile medii.
Această analiză, bazată pe observaţii limitate la un singur pacient, a avut semnificaţie pur descriptivă. Rezultatele au fost încurajatoare, însă nu se pot trage concluzii clare. Controlul clinic şi radiologic, cu măsurători efectuate în raport cu punctele de referinţă fixe, au fost continuate încă un an, când s-au îndepărtat şuruburile corticale. Determinările efectuate la 24 luni erau comparabile cu cele consemnate la 12 luni, fără modificări în privinţa înălţimii papilei.
Control radiologic
Evaluarea radiologică a barelor de titan înainte de extracţie, la 6 şi respectiv 12 luni după extracţii nu au prezentat modificări semnificative (fig. 15).
Etapa restauratoare
S-au luat amprentele finale pentru a crea modelul master. Locurile cu pontice ovale au fost perfecţionate şi modelate în ghips pentru a reproduce contururile gingivale ideale. S-a alocat atenţie la vârfurile interdentare, corespondentele intraorale ale mini-barelor.
S-a scurtat wax-up-ul final pentru fabricarea scheletului metalic ce s-a probat intraoral, înainte de stratificarea ceramicii. Profilele pontice ovale din porţelan au fost conturate cu formă convexă în toate direcţiile şi apoi au fost minuţios lustruite. Restaurarea parţială fixă finală s-a probat în cavitatea orală pentru a verifica intensitatea presiunii exercitate în dreptul locaţiilor pontice ovale (fig. 16).
S-a observat albirea temporară a ţesuturilor moi în timp ce pacienta muşca pe rulourile de vată. Aţa interdentară aluneca cu uşurinţă pe sub pontice, fără rezistenţă. S-a decis cimentarea (fig. 17), iar controlul postoperator radiologic a demonstrat poziţionarea interdentară corectă a barelor şi absenţa resorbţiei osoase (fig. 18).
Sistemul TRIP se bazează pe aceleaşi principii biologice ce reprezintă fundamentul stomatologiei implantare moderne. La câteva săptămâni după plasarea chirurgicală, osul şi titanul vor stabili un contact ce va duce la osteointegrarea barelor. Cu scopul de a creşte suprafaţa de contact dintre os şi metal, barele pot urma diferite tratamente de suprafaţă, disponibile şi utilizabile în cazul implanturilor cu formă radiculară.
DROBETA TURNU SEVERIN
Primul centru de frezare computerizată din Oltenia!


cape din zirconiu cu tehnologie
CAD/CAM; colaborare cu medici și tehnicieni din toată țara; primim amprenta prin curier, confecționăm modelul și realizăm capele de zirconiu;

în cel mai scurt timp lucrarea este trimisă cu prin curier înapoi; la livrare se oferă un certificat cu numărul și seria discului din care s-a frezat (folosim numai discuri Zirkon Zahn).
punți


Contact: 0722 780 558
0252 312 380 0722 711 030







Figurile
12. Aspectul la 2 săptămâni postextracţional al noii arhitecturi gingivale pozitive.
13. Şuruburile transcorticale inserate ca puncte de referinţă.
14. Cele 6 distanţe măsurate între punctele de referinţă şi vârfurile papilare.
Rolul sistemului TRIP constă în prezervarea osului interdentar şi combaterea resorbţiei. Faptul că barele din titan (material biocompatibil) sunt concepute pentru a fi inserate într-un mediu închis, neexpus riscului de acumulare a plăcii, reprezintă o situaţie mai favorabilă pentru prezervarea pe termen lung a osteointegrării. Şi chiar dacă vârful barei interdentare se expune în timp, poate rămâne încă util în susţinerea papilei, acţionând
Figurile
9. Etapa chirurgicală: barele de titan aşezate pasiv.
10. Inserarea profundă a barelor de titan pentru a obţine stabilizare primară.
11. Control Rx preextracţional cu barele de titan inserate.
ca un suport pentru ţesutul moale, fiind biocompatibil cu ţesuturile şi bine tolerat, la fel cu componentele implantare de formă radiculară, transmucozale.
În cazul de faţă, s-a elevat un lambou generos pentru că erau vizate mai multe locaţii cu implicare parodontală pentru inserţia barelor. Dar, tehnica chirurgicală pentru plasarea inserţiilor poate fi minim invazivă, îndeosebi când parodonţiul este sănătos.
Având în vedere dimensiunea redusă a barei, inserţia se poate realiza doar prin ridicarea jumătăţii vestibulare a papilei, extinzându-se până ce vârful osos interdentar devine expus, sau prin crearea inciziilor verticale de-a lungul lungimii papilei şi prin deschiderea unui lambou vertical de tip plic pentru expunerea osului.
Ideal, inserţia barelor ar trebui să se facă la o adâncime de cel puţin 1mm în grosimea vârfului osos, sau cel puţin imediat sub peretele cortical vestibular, în timp ce vârful barei trebuie plasat în linie cu cel mai înalt punct al vârfului osos. De aceea, grosimea barei trebuie menţinută la minim, permiţând inserţia profundă fără a cauza deformare.
Clinic, grosimea vârfului osos se măsoară cu un compas, valoare din care se scad apoi grosimile ţesuturilor moi vestibulare şi orale, măsurate cu o sondă parodontală.
Odată ce bara este acoperită cu grefă osoasă şi membrană, nu ar trebui detectată coloraţia ţesutului moale supraiacent. Nuanţa cenuşie a titanului poate transpare dacă bara se expune parţial din cauza resorbţiei osoase vestibulare. De aceea, se consideră utilizarea barelor albe biocompatibile, din zirconiu.
O abordare mai calibrată, cu utilizarea determinărilor bazate pe Rx standardizate este mai precisă, fiind recomandată pentru studiile în curs şi viitoare legate de sistemul TRIP. În cazul prezentat, determinarea clinică iniţială a înălţimii papilare s-a stabilit după crearea iatrogenă a arhitecturii gingivale care, în fapt, era afectată parodontal. În studiile viitoare, înălţimea iniţială a papilei ar trebui înregistrată pre-extracţional.
Nu în ultimul rând, rezultatele au demonstrat nu doar prezervarea pentru 12 luni a rezultatului obţinut cu ponticele ovale imediat postextracţional, ci şi o creştere a papilelor, cel mai probabil datorită compresiei laterale exercitate de ponticele ovale. În plus, faza de vindecare a beneficiat de un fenotip tisular gros, datorită căruia, la 1 an postoperator, deplasarea coronară a marginilor gingivale era mai pronunţată.
După îndepărtarea şuruburilor corticale utilizate ca puncte fixe de referinţă, evaluarea clinică şi vizuală a înălţimii papilei s-a efectuat prin şedinţe de control la intervale de 3 luni. Nu s-au înregistrat vizual "triunghiuri negre". Mai mult, examinările radiologice de rutină, nestandardizate, utilizate normal pentru monitorizarea nivelului osos în cazul implanturilor de titan cu formă radiculară, nu au obiectivat pierdere osoasă notabilă în jurul barelor de titan interproximale.

Figurile
15. Control Rx, la 12 luni postextracţional.
16. Proba intraorală a restaurării fixe metalo-ceramice.
Sunt descrise în literatură tehnici sofisticate pentru prezervarea osului alveolar, vestibular şi interproximal. Unele susţin extracţia rădăcinii prin frezarea structurii dentare în momentul inserării implantului, în timp ce altele recomandă plasarea implantului de titan cu formă radiculară în proximitatea sau în contact direct cu fragmentul radicular menţinut.
Abordarea cu sistemul TRIP, utilizând inserţii biocompatibile sterile plasate în os sănătos, pare să fie mai puţin sensibilă la tehnică şi mai puţin expusă la riscul infecţiei. Deşi se impun mai multe studii in vivo prospective pentru a demonstra eficienţa pe termen lung a tehnicii, sistemul TRIP, bazat pe principiile biologice ale osteointegrării, poate reprezenta o soluţie promiţătoare pentru prezervarea papilei interdentare. ¤
17. Restaurarea cimentată, aspect frontal.
18. Control Rx, post-inserţie.



Achieving Esthetic and Functional Objectives with Additive Equilibration by Amanda Seay, DDS. Originally published in Compendium of Continuing Education in Dentistry 35(9) Oct 2014. Copyright © 2014 to AEGIS Communications. All rights reserved.

Despre autor
Amanda Seay, DDS Private Practice, Mount Pleasant, South Carolina
Recunoaştere: John C. Kois, DMD, MSD, for his educational instruction and guidance through the years
Găsirea unei soluţii estetice pentru corectarea dinţilor minim abrazaţi pare simplă. Cu toate acestea, aspectele funcţionale pot complica planul de tratament. Medicul dentist trebuie să evalueze dorinţele estetice ale pacientului şi aşteptările financiare şi să ia în considerare durata de tratament atunci când selectează cea mai bună opţiune restaurativă. Pentru a concepe şi aplica un plan de restaurare care să conserve structura dentară şi să îndeplinească doleanţele pacientului, clinicianul are nevoie de înţelegerea solidă a planificării terapeutice exhaustive.
În cazul de faţă, a fost necesară o adiţie minimă de răşină compozită pentru îmbunătăţirea aspectului estetic al dinţilor anteriori, precum şi pentru a crea funcţie masticatorie acceptabilă. Prin intermediul deprogramatorului Kois, s-a efectuat o echilibrare ocluzală prin adiţie directă de compozit, obţinându-se o ocluzie adecvată care să menţină rezultatul fizionomic obţinut.
Obiectivele de tratament în acest caz, în care s-a detectat o limitare a anvelopei funcţionale, au fost îmbunătăţirea estetică prin alungirea frontalilor superiori, şi amendarea procesului activ de abraziune de la nivelul dinţilor anteriori.
Cu ajutorul unui deprogramator Kois, s-a efectuat o echilibrare ocluzală prin adiţie directă de compozit cu scopul de a asigura o funcţie ocluzală corespunzătoare, care să menţină rezultatul estetic obținut. Nu a fost necesară reducerea structurii dentare.
Pacienta (33 ani), de profesie igienist dentar, s-a prezentat fiind nemulţumită de aspectul estetic al dinţilor maxilari anteriori. Îi displac marginile incizale neregulate subţiate şi ar dori dinţi mai lungi (fig. 1).
De asemenea, preferă un tratament cât mai conservativ posibil.
Antecedentele medicale generale nu relevă date semnificative. Antecedentele stomatologice includ tratamente ortodontice pentru corectarea unei înghesuiri dentare minore. Nerespectarea instrucţiunilor de purtare a aparatului de contenţie după prima terapie ortodontică a impus un al doilea tratament ortodontic. Pacienta consumă obişnuit


Figurile
2, 3. Aspectul arcadei maxilare, respectiv mandibulare, cu restaurări reduse la şanţurilor şi fosetelor la nivelul premolarilor şi molarilor.
4. Marginile incizale ale centralilor şi lateralilor subţiate şi translucente.

băuturi carbogazoase, însă încearcă să limiteze consumul acestora.



7
Examenul extraoral şi testele de depistare a cancerului oral se înscriu în parametri normali.
Majoritatea valorilor de parodontometrie sunt mai mici sau egale cu 3mm şi nu există sângerare la palparea cu sonda. Parte din molari prezintă valori izolate de 4mm, cu uşoară sângerare la atingere. Clinic, nu se decelează mobilitate. La examenul radiologic, nivelurile limbusurilor alveolare sunt situate la distanţe mai mici de 2mm faţă de joncţiunile smalţ-cement, fără defecte intraosoase. Nu există factori de risc pentru resorbţie osoasă. La nivelul dinţilor 1.3., 1.4., 2.3. şi 2.4. se observă abraziune şi retracţie gingivală mai mică de 1mm. Diagnosticul parodontal este tipul 1, conform clasificării AAP (American Association of Periodontology)
Risc: Scăzut
Pronostic: Bun
Figurile
5. Pacienta prezintă o poziţie "0" a caninilor, nivelul vârfului cuspidului caninului fiind acelaşi cu cel al buzei superioare în poziţia de repaus.
6. Planul incizal anterior neregulat este mai evident când zâmbeşte larg.
7. Din normă laterală, se remarcă natura retruzivă a incisivilor.

La nivelul dinţilor 1.3., 1.4., 2.3. şi 2.4. se remarcă eroziune ce reprezintă un factor de risc pentru leziunile carioase ce nu sunt localizate cervical. În şanţurile şi fosetele premolarilor se decelează obturaţii reduse, de calitate acceptabilă. Restaurările din silicat de sticlă de la nivelul dinţilor 2.4., 2.5., 3.4., 3.5., 4.4. şi 4.5. au fost aplicate în urmă cu peste 20 ani (fig. 2, 3). Nu există semne de carioactivitate, clinic şi radiologic. Risc: Scăzut (deşi consumul frecvent de băuturi gazoase prezintă risc ridicat, la momentul examinării nu este manifest efectul de apariţie a proceselor carioase).
Pronostic: Bun
Amplitudinea deschiderii gurii se înscrie în valori normale. Testele de imobilizare şi încărcare a articulaţiilor nu au produs durere sau disconfort muscular şi nu sunt prezente zgomote articulare. Se remarcă un proces de atriţie, de gravitate redusă spre medie, la nivelul 1.3.-2.3. (fig. 4) şi 3.3.-4.3. Faţetele de abraziune detectate pe feţele palatinale ale frontalilor maxilari şi pe feţele vestibulare şi marginile incizale ale frontalilor mandibulari, împreună cu lipsa de abraziune a dinţilor laterali, sugerează un tipar de limitare a anvelopei masticatorii.
În cazul de faţă, această limitare s-a manifestat prin abraziune şi nu prin disfuncţie articulară sau implicare musculară. În antecedente nu sunt menţionate boli neurologice sau bruxism nocturn.
Risc: Moderat
Pronostic: Satisfăcător
Figurile
8. Deprogramatorul aplicat în cavitatea orală după ajustarea platformei acestuia.
9. Echilibrarea
ocluzală aditivă finală a creat contacte simultane şi bilaterale.
10. Se observă cantitatea minimă de compozit necesară obţinerii noii DVO.
11. După tratament se remarcă vizibilitatea incisivilor, în poziţia de repaus, mai simetrică şi mai bine proporţionată.




Fotografia este esenţială în evaluarea esteticii dentofaciale. În poziţia de repaus a mandibulei, se determină întâi nivelul marginii incizale maxilare. Caninii superiori reprezintă punctul de referinţă atunci când, cu buzele aflate în repaus, se evaluează gradul de vizibilitate a dinţilor, întrucât caninii sunt mai puţin dependenţi de lungimea buzei şi nu prezintă specificitate.
Când buzele sunt în repaus, caninii ar trebui să fie situaţi la acelaşi nivel cu buza superioară, notându-se cu "0" expunerea caninului. Caninii pacientei se află situaţi în poziţia "0", dar centralii şi lateralii superiori prezintă un deficit de lungime (fig. 5).
Fotografia zâmbetului larg indică gradul de mobilitate a buzei superioare (fig. 6), iar cele laterale arată natura retruzivă a centralilor maxilari (fig. 7).
Evaluarea riscului se face în funcţie de gradul de vizibilitate a dinţilor şi a ţesutului gingival în zâmbetul larg şi în poziţia de repaus a buzelor. Dinamica medie a buzelor nu expune arhitectura gingivală în totalitate, fiind un indicator important pentru anticiparea rezultatului estetic dorit.
Risc: Mediu
Pronostic: Satisfăcător
Planul de tratament
Doleanţele pacientei includ alungirea frontalilor superiori şi stoparea procesului activ de abraziune a acestora. Întrucât diagnosticul funcţional al pacientei se încadrează în tiparul de limitare a anvelopei masticatorii, cauza abraziunii anterioare este reprezentată de fricţiunea excesivă dintre frontali în timpul masticaţiei.
Doar prin simpla alungire a dinţilor, s-ar mări fricţiunea în cadrul anvelopei masticatorii şi ar creşte riscul de eşec al restauraţiilor. Se impune un tratament suplimentar pentru "eliberarea" tiparului masticator, micşorarea fricţiunii şi ameliorarea libertăţii mişcărilor mandibulare.
Soluţia ortodontică, de vestibularizare a frontalilor maxilari şi lingualizarea celor anteriori mandibulari, reprezintă una dintre opţiunile de tratament.
Urmând două tratamente ortodontice în antecedente, pacienta a refuzat această variantă.
Cealaltă opţiune, reprezentată de mărirea DVO prin metode restaurative directe cu răşină compozită a fost soluţia acceptată de pacientă. În acest mod, se creează suficient spaţiu pentru mărirea lungimii dinţilor, satisfăcând astfel doleanţele estetice şi asigurând
o ocluzie stabilă pentru îmbunătăţirea funcţiei masticatorii şi protejarea longevităţii restauraţiilor.
Etapa 1:
Determinarea RC şi efectuarea echilibrării ocluzale prin adiţie
S-a utilizat deprogramatorul Kois pentru a determina o poziţie de RC precisă şi reproductibilă.
Pacienta a purtat aparatul continuu, pentru 2 săptămâni, cu excepţia meselor. Este important să se verifice că nu apar simptome (noi) în perioada de purtare a aparatului.
Testele de imobilizare şi încărcare au fost efectuate din nou, constatându-se lipsa durerii articulare, a disconfortului muscular sau a zgomotelor articulare.
S-a obţinut şi verificat un singur punct de contact, reproductibil, în absenţa simptomelor (fig. 8). La îndepărtarea deprogramatorului, primul punct de contact era în zona disto-linguală a lui 1.1., confirmând diagnosticul de tipar masticator limitat.
S-a efectuat o alungire de probă a incisivilor pentru ca pacienta să poată vizualiza lungimile incizale propuse, dar şi pentru a verifica dacă echilibrarea ocluzală prin adiţie ar furniza un spaţiu corespunzător pentru noua


lungime incizală. S-a stabilit anterior că lungimea caninilor este adecvată, iar prin adiţia la nivelul centralilor şi lateralilor a fost nivelat planul de ocluzie şi creat un design ideal al zâmbetului, conform cu poziţia actuală a caninilor. Incisivii au fost gravaţi punctiform şi s-a adăugat compozit la nivelul marginilor incizale.
Odată ce a fost determinată lungimea corectă a incisivilor, s-a stabilit o nouă DVO care să asigure un spaţiu corespunzător găzduirii noii lungimi incizale fără interferenţe cu anvelopa funcţională. Platforma deprogramatorului Kois a fost ajustată la noua dimensiune verticală. Cu deprograma-

Figurile 12. Zâmbetul larg expune lungimi incizale corespunzătoare. 13. Vedere de detaliu pentru vizualizarea răşinii compozite adăugate la nivelul frontalilor superiori. 14. Restauraţiile de compozit se armonizează cu restul dentiţiei şi corespund doleanţelor estetice ale pacientei.
torul aplicat în cavitatea bucală, s-a adăugat, prin metoda directă, răşină compozită la nivelul feţelor palatinale ale caninilor maxilari, iar contactele obţinute au fost verificate cu ajutorul foiţei metalice de articulaţie. Cu scopul de a deveni o "gazdă" ocluzală durabilă la noua dimensiune verticală, a fost urmat acelaşi protocol, adăugându-se compozit ocluzal la nivelul dinţilor maxilari, începând cu primii premolari şi continuând cu cei secunzi şi primii molari. S-a îndepărtat deprogramatorul şi ariile de contact ocluzale posterioare au fost perfecţionate cu hârtie de articulaţie şi verificate cu foiţă metalică, urmărind obţinerea unor contacte egale, simultane şi bilaterale la nivelul dinţilor posteriori şi contacte slabe în RC la nivelul palatinal al caninilor superiori.
Etapa a 2-a:
Estetică
Imediat după finalizarea modificărilor ocluzale aditive, s-a îndepărtat compozitul aplicat provizoriu pe incisivii maxilari, iar dinţii au fost pregătiţi pentru protocolul final de adeziune. Cum toată suprafaţa de smalţ este nepreparată, dinţii frontali superiori au fost microabrazaţi cu oxid de aluminiu de 27µ, la 40 psi, şi apoi gravaţi cu acid fosforic 60sec. S-a aplicat răşină adezivă şi apoi compozită pentru a obţine nivelul marginii incizale anterior acceptat. Compozitul a fost modelat şi lustruit cu discuri şi pastă de oxid de aluminiu.
Contactele anterioare au fost verificate (hârtie 200µ); toate semnele palatinale ale centralilor şi lateralilor maxilari au fost îndepărtate pentru a nu se crea condiţii favorabile apariţiei fricţiunii.
S-au obţinut intraoral puncte de contact posterioare simultane, precum şi ghidaj canin (fig. 9, 10).
Deşi preocuparea principală a pacientei a fost de natură estetică, în conceperea unui plan de tratament care să reducă toate tipurile de risc, a fost esenţială înţelegerea pe deplin a tuturor factorilor de risc. Pacienta a fost încântată de rezultatul estetic, dar şi de lipsa oricărei reduceri de substanţă dentară (fig. 11-14).
Deprogramatorul Kois a fost utilizat pentru determinarea, stabilirea, menţinerea şi verificarea, pe tot parcursul terapiei, a unei DVO adecvate, în RC. Deoarece compozitele s-au realizat la nivelul smalţului, orice eşec va afecta restauraţiile, şi nu structura dentară, nefiind astfel mărit riscul biomecanic. Tiparul de limitare a anvelopei masticatorii a fost desfiinţat prin abordare ocluzală, diminuându-se posibilitatea de abraziune a dinţilor anteriori. În acest fel, riscul funcţional a fost diminuat, iar pronosticul îmbunătăţit. Riscul şi pronosticul parodontal nu s-au modificat, în timp ce pronosticul dentofacial a crescut de la satisfăcător la bun . ¤






Prosthetic Resolution of Peri-Implant Mucositis: Promoting Soft-Tissue Health Through Proper Restorative Design by David E. Azar, DDS. Originally published in Compendium of Continuing Education in Dentistry 35(7) July/Aug 2014. Copyright © 2014 to AEGIS Communications. All rights reserved.

David E. Azar, DDS
Private General Practice in Manhattan Financial District since 1984, New York, New York; Master Clinician in Implant Dentistry from Global Institute for Dental Education (gIDE)/UCLA, Los Angeles, California; Fellow, International Congress of Oral Implantologists; Member, Academy of Osseointegration
n paralel cu răspândirea largă a implantelor osteointegrate ce înlocuiesc dentiţia compromisă, s-a formulat o nouă clasificare a patologiei dentare, incluzând "boala periimplantară" (peri-implant disease, PID). În literatura modernă, i se alocă o atenţie deosebită, îndeosebi cu privire la prevalenţa sa, necesitatea de a recunoaşte fenomenul şi nevoia de a dezvolta abordări şi modalităţi terapeutice adecvate. Majoritatea rapoartelor se focalizează asupra modalităţilor de tratament centrate pe ţesuturi, incluzând instructajul de igienă orală şi motivarea pacienţilor, debridarea mecanică, antisepticele, administrarea adjuvantă a antibioticelor locale şi/sau sistemice şi chirurgia cu lambou, cu sau fără cu regenerare osoasă. Boala periimplantară se împarte în: mucozita periimplantară (PIM) şi periimplantita (PI)
Deşi s-a acordat o mare atenţie metodelor de tratament centrate pe ţesut, acest articol va examina un alt factor cauzal în boala periimplantară: forma restauratoare inadecvată. Sunt prezentate beneficiile terapeutice pe care le oferă modificarea morfologiei componentelor restauratoare precum şi unele concepte fundamentale ale managementului implantar actual.
Aceste două entități distincte pot fi considerate analoage, deşi nu identice cu gingivita, respectiv cu parodontita, din cadrul dentiţiei naturale.
PIM este un proces inflamator care afectează doar ţesuturile moi din jurul implantului şi al componentelor restauratoare (bontul şi proteza). PI este definită ca un proces inflamator extins dincolo de mucoasa înconjurătoare către osul subiacent şi care a dus la o pierdere osoasă patologică în jurul corpului implantar propriu-zis.
Ca în orice proces patologic este importantă identificarea etiologiei bolii. Diverse etiologii s-au asociat cu PIM şi PI – unele similare cu cele ce afectează dinţii naturali. Prima şi cea mai importantă este placa bacteriană, recunoscută de mult timp ca principalul agent cauzator în boala parodontală, fiind la fel de relevantă şi în cazul PID. Lipsa regimurilor de control al plăcii, centrate pe pacient şi a întreţinerii profesionale constante poate genera PIM, la fel cum poate duce la gingivită. PI, deşi poate fi influenţată şi de placă, poate fi exacerbată semnificativ de factorii mecanici precum lipsa suportului adecvat de ţesut moale şi

Un sistem simplu pentru restaura ˘ri estetice naturale:
Adeziv robust pentru o aplicare sigura ˘
Compozit nano-ceramic cu sistem de nuant , e simplificat


Figurile: 4. Bonturi supraconturate, late, convexe (indicate de săgeţi). 5. Bonturile conturate la un profil transmucos cu convergenţă gingivală s-au încorporat într-o restaurare provizorie fixată cu şurub. Rx a demonstrat adaptarea pasivă cu testul cu un singur şurub.


Figurile: 6. Noua restaurare provizorie cu bonturi subconturate înşurubată pe poziţie. Se observă modificarea ponticului pentru obţinerea unui contur crestal plat care să îmbunătăţească igiena orală. 7. Accesul ocluzal închis cu material temporar siliconic.


Figurile:
1. Regiune extinsă de mucoasă inflamată în jurul restaurării FPD cu sprijin implantar.
2. Hipertrofie severă şi inflamaţie în jurul bonturilor.
3. La îndepărtarea bonturilor s-a descoperit hipertrofie severă, eritem şi necroza gulerelor gingivale.

dur, încărcarea ocluzală excesivă şi retenţia agenţilor de cimentare dincolo de interfaţa coroană-implant. Raportul de caz prezentat va evalua un alt factor care poate juca rol în boala periimplantară, şi anume forma restauratoare inadecvată, alături de beneficiile terapeutice ale modificării morfologiei componentelor restauratoare existente în cazul unei PIM cronice.
Înainte de a dezbate impactul design-ului restaurator, 2 concepte ale managementului actual al implanturilor sunt fundamentale: topografia bontului transmucos şi fixarea cu ciment vs şurub.
Topografia bontului
În trecut, bonturile erau preparate tradiţional cu o formă convexă largă, în încercarea de a imita 1/3 coronară a unui dinte natural. Forma exercita o presiune excesivă asupra ţesutului moale transmucos. Rezultatul era pierderea osului cres-
tal care se observa în mod obişnuit după încărcarea implantului. Totuşi, aceasta s-a considerat multă vreme ca fiind în limite funcţionale acceptabile.
Mai recent, dorinţa de a obţine nu doar restaurări implantare reuşite dpdv funcţional, ci şi rezultate estetice de succes pe termen lung, a orientat căutările spre abordări care să prevină pierderea osoasă de acest fel şi recesia gingivală inestetică ce o acompaniază frecvent.
S-a recunoscut faptul că profilul transmucos submersat al bontului implantar poate juca un rol decisiv în stabilitatea pe termen lung a osului şi a ţesutului moale din jurul coletului implantar.
Rompen et al au demonstrat beneficiile unui profil scufundat concav, sub-conturat în stabilitatea ţesuturilor moi din jurul implanturilor, presupunând că profilul curbat permite o lungime crescută a interfeţei ţesut moale-implant, însemnând că, în pofida unei distanţe mai scurte între coroană şi implant, se poate obţine o închidere biologică

Figurile: 8, 9. La două săptămâni după modificarea bonturilor s-a constatat îmbunătăţirea dramatică a stării gingiei (fig. 8), iar ţesutul transmucos era complet vindecat cu adaptarea sănătoasă la noile bonturi (fig. 9). 10. Restaurarea definitivă poziţionată intraoral –FPD din porţelan pe zirconiu, cu fixare cu şurub.
de 3mm şi că după maturarea ţesuturilor moi, se creează un tip de etanşare inelară ce poate stabiliza adeziunea ţesutului conjunctiv şi, într-o oarecare măsură, poate imita funcţional efectul ataşamentului la dinţi al fibrelor Sharpey
Retenţie cu ciment vs. şurub
Alegerea restaurărilor fixe sprijinite pe implant, fie cu fixare prin cimentare, fie cu şurub reprezintă o problemă dezbătută de foarte multă vreme. Gândirea actuală lasă alegerea pe seama clinicianului. Ambele opţiuni au demonstrat avantaje şi dezavantaje, iar atunci când sunt executate corespunzător, ambele s-au dovedit a avea un efect redus asupra supravieţuirii implanturilor.
Un dezavantaj semnificativ al restaurărilor fixate prin cimentare constă în potenţialul cimentului rezidual excesiv retenţionat dincolo de interfaţa coroană-implant. Acesta s-a dovedit a fi un agent etiologic semnificativ în PID, ce poate fi eliminat complet cu ajutorul restaurărilor fixate cu şurub.
Dezavantajele restaurărilor înşurubate sunt reprezentate de "slăbirea şurubului" şi compromiterea esteticii. Slăbirea şurubului este adesea legată fie de încărcarea ocluzală inadecvată, fie de cuplul de torsiune necorespunzător în momentul poziţionării bontului. Ambele probleme pot fi remediate cu uşurinţă.

Din cauza orientării angulate inevitabile a implantului, retenţia cu şurub nu reprezintă întotdeauna opţiunea ideală pentru că orificiul de acces pentru şurub va ieşi prin restaurare într-o regiune esenţială dpdv estetic. În unele cazuri se poate utiliza un şurub lingual/palatinal; în caz contrar trebuie utilizată o restaurare fixată prin cimentare. Orificiile de acces ocluzale pot fi mascate în mod adecvat cu materiale adezive, precum compozitele opace, sau cu inlay-uri fabricate individual din aceleaşi materiale ca şi restaurarea definitivă.
O pacientă (71 ani), aflată într-o stare generală bună, s-a prezentat la cabinetul de stomatologie generală al autorului pentru o a doua opinie, la 16 luni după tratamentul de substituire a premolarilor şi a primului molar din cadranul maxilar drept (dinţii 1.4.-1.6.) cu ajutorul unei proteze parţiale fixe (FPD) cu sprijin implantar. Principala sa îngrijorare viza sângerarea, tumefacţia şi sensibilitatea extremă a gingiilor din jurul punţii fixe susţinute de implanturi. Implanturile au fost inserate la nivelul primului premolar (platformă îngustă) şi al primului molar (platformă lată). După 6 luni, s-au aplicat bonturi de titan şi s-a cimentat provizoriu o restaurare FPD cu 3 elemente. Pacienta a raportat că imediat după plasarea restaurării "aceasta nu a fost niciodată în regulă" şi, deşi ea a revenit în mod repetat la medicul dentist care a tratat-o, problema nu s-a rezolvat şi s-a agravat cu trecerea timpului.

Odată cu dizolvarea completă a cimentului provizoriu şi dislocarea FPD, pacienta a refuzat recimentarea, obişnuindu-se să o îndepărteze şi repoziţioneze la întâmplare. Deoarece simptomele persistau, medicul curant a îndrumat-o către un parodontolog experimentat care a recomandat chirurgia pentru corectarea ţesutului moale. Nefiind convinsă că această abordare era adecvată, întrucât problema a început la scurt timp după inserarea restaurării, aceasta a optat pentru un consult în vederea unei alte opinii. (Notă: autorul nu a fost informat cu privire la raţiunea parodontologului pentru intervenţia chirurgicală)
Examinarea clinică a evidenţiat mucoasa roşie, netedă (nepunctată) pe latura vestibulară a restaurării FPD (fig. 1). Ablaţia FPD a dezvăluit ţesut eritematos, hipertrofic în jurul ambelor bonturi (fig. 2). Cu aprobarea pacientei, s-au deşurubat bonturile şi s-a constatat aceaşi patologie tisulară de-a lungul coletului transmucos, cu hemoragie spontană şi ulceraţia mucoasei din jurul bontului primului premolar (fig. 3). Implanturile s-au considerat a fi stabile prin manevrarea tactilă. Rx periapicale au confirmat un contact os-implant de aproape 100% de-a lungul laturilor meziale şi distale ale ambelor implanturi, cu doar o uşoară rezorbţie pe versantul mezial al coletului implantar din dreptul premolarului, ce nu se extindea până la nivelul primului filet. S-a stabilit diagnosticul de mucozită periimplantară.
Evaluarea clinică şi radiologică a indicat supraconturarea moderată


a bontului din poziţia molarului şi supraconturarea excesivă a bontului din dreptul premolarului (fig. 4). Deşi autorul a recomandat o scanare cu tomografie computerizată cu fascicul conic (CBCT) tridimensională (3-D) pentru a verifica starea suportului osos al implanturilor, pacienta a refuzat. Ea şi-a dat acordul informat semnat pentru a continua fără CBCT.
S-a recomandat plasarea unei punţi provizorii cu bonturi SUBCONTURATE, cu scopul de a testa suspiciunile autorului cu privire la faptul că acestea, fiind acum supraconturate, ar reprezenta de fapt etiologia reală. Având în vedere că restaurarea existentă nu ar fi fost afectată şi se putea reinsera cu uşurinţă, pacienta a acceptat.
S-a realizat in-situ o amprentă din polivinilsiloxan (PVS) a restaurării FPD existente pentru a servi ca şablon pentru fabricarea noii lucrări provizorii. S-a efectuat o amprentă PVS cu lingură deschisă şi s-a fabricat un model analog pentru ţesutul moale. Amprenta şablon şi modelul analog s-au scurtat şi s-au sincronizat pentru a asigura închiderea completă.
S-au preparat bonturi subconturate şi s-au adaptat la bonturile analog, iar orificiile de acces s-au blocat cu dibluri (obţinute din aplicatoare), iar bonturile au fost învelite cu acrilat autopolimerizabil. În amprenta şablon s-a turnat un amestec din acelaşi acrilat şi s-a poziţionat pe modelul analog cu bonturile pe poziţie. Ansamblul s-a fixat cu benzi elastice şi s-a polimerizat într-o oală cu presiune.
La extragere, analoagele erau capturate în materialul acrilic. Excesul
de acrilat s-a scurtat şi s-a testat adaptarea pasivă utilizând "testul cu un singur şurub". Pentru aceasta restaurarea provizorie s-a poziţionat intraoral şi doar şurubul bontului de pe molar s-a fixat cu presiune manuală maximă.
S-a efectuat o Rx periapicală pentru a verifica aşezarea completă a bontului premolar (fig. 5). După verificarea adaptării pasive, s-au efectuat ajustările ocluzale finale, iar conturul crestal al ponticului s-a modificat pentru a obţine un design plat, cu scopul de a uşura igiena orală. Apoi restaurarea provizorie s-a lustruit şi s-a înşurubat intraoral cu torsiune manuală maximă (fig. 6). În orificiile de acces ale şuruburilor s-au aşezat bulete de vată, iar spaţiul s-a etanşat cu un material provizoriu pe bază de silicon (fig. 7). Pacienta a fost programată pentru control după 2 săptămâni.
La şedinţa de control la 2 săptămâni s-a îndepărtat restaurarea provizorie pentru a evalua starea ţesutului moale. S-a observat rezoluţia completă a inflamaţiei (fig. 8, 9). Pacienta a raportat că se simte confortabil pentru prima dată de la inserarea restaurării originale şi că era capabilă să mănânce pe partea dreaptă şi începuse să exerseze igiena orală. Restaurarea provizorie s-a repoziţionat pentru încă 6 săptămâni pentru a permite maturarea ţesutului moale.
După acest interval, s-a efectuat o amprentă VPS cu lingură deschisă utilizând restaurarea provizorie ca mediu de transfer cu scopul de a captura morfologia bonturilor subconturate. Laboratorul a fabricat un şablon acrilic de verificare, care
Figurile:
11. Rx de control demonstrează replicarea bonturilor subconturate în proteza definitivă. 12. La 2 săptămâni după inserarea protezei definitive, se observă adaptarea transmucoasă sănătoasă a gulerelor gingivale.
s-a probat şi testat în privinţa adaptării pasive cu ajutorul testului cu un singur şurub.
La verificarea adaptării pasive s-a fabricat o suprastructură din zirconiu, cu fixare prin înşurubare, care imita forma subconturată a bonturilor provizorii. Zirconiul s-a verificat în privinţa adaptării pasive şi s-a returnat laboratorului pentru aplicarea porţelanului şi finisare.
Ocluzia s-a ajustat intraoral şi s-a testat cu folie de ocluzie pentru a asigura lipsa contactului prematur la nivelul restaurării cu sprijin implantar. Restaurarea finală s-a inserat cu torsiune manuală maximă, iar orificiile de acces s-au închis în maniera descrisă anterior (fig. 10, 11) şi pacienta a fost programată pentru control la 2 săptămâni.
La şedinţa de control pacienta a raportat lipsa totală a disconfortului şi a sângerării cu ocazia efectuării igienei orale. Ea s-a declarat foarte mulţumită de rezultat. Restaurarea s-a îndepărtat pentru a verifica starea gingiei. Gulerele gingivale s-au dovedit a fi sănătoase şi manifestau adaptarea excelentă la bonturile convexe (fig. 12). Restaurarea s-a fixat cu cuplul de torsiune recomandat de producător, iar orificiile de acces ale şuruburilor s-au etanşat cu un compozit condensabil fotopolimerizabil.
Eforturile de gestionare a bolii periimplantare au urgentat înţelegerea etiologiilor şi a tratamentelor. Deşi designul restaurator inadecvat poate fi uşor trecut cu vederea, conştientizarea şi înţelegerea celor mai actuale ghiduri de restaurare implantară ar trebui să ajute la prevenirea mucozitei periimplantare în gestionarea noilor cazuri şi la tratarea PIM în cazurile existente în care acele ghiduri nu au fost respectate. ¤

• Control inteligent al infectiilor
• Utilizare intuitiva
• Ergonomie ideala
Planmeca Sovereign ® Classic Unit dentar +

Planmeca ProX™ RX intraoral +

GRATUIT iPad mini (8 GB) ! *Pentru oferta de pret contactati-ne
IMPREUNA SPRE SUCCES PRIVIND ACCESAREA FONDURILOR EUROPENE
Dam viata ideii dumneavoastra de proiect prin accesarea celei mai optime surse de finantare nerambursabile, de la idee, la consultanta, ofertare, achizitie, servicii de montare, garantie si post-garantie.

Bucuresti: Strada Visinilor, nr. 2, ap. 1, Sector 2
Telefon: 031–316 205 403 ; Mobil: 0722 660 619 ; E-mail: valentina.c@dpgrup.ro Timisoara: Telefon : 0256–497 353 ; Mobil: 0723 490 655
Advanced Immediate Functional Loading: Requirements for Long-Term Success in Modern Implant Dentistry by Georgios E. Romanos, DDS, PhD, Prof. Dr. med. dent. Originally published in Compendium of Continuing Education in Dentistry 35(7) July/Aug 2014. Copyright © 2014 to AEGIS Communications. All rights reserved.

Despre autori
Georgios E. Romanos, DDS, PhD, Prof. Dr. med. dent. Professor, Department of Periodontology, Stony Brook University, School of Dental Medicine, Stony Brook, New York
Recunoştere:
The residents: Drs. B. Baig, G. Ciornei, A. Kashi, and M. Palermo (Rochester, New York)
Conceptul de încărcare imediată (immediate loading, IL) este amplu documentat mai ales în regiunea interforaminală a mandibulei, unde se introduc patru implanturi cu stabilitate primară ce se conectează cu ajutorul unei bare imediat după inserţie, fiind încărcate cu o supraproteză. Regula generală a acestui concept constă în controlul microdeplasărilor la interfaţa os-implant în momentul încărcării implanturilor.
Lungimea implanturilor, designul adecvat al filetelor, asperitatea suprafeţei şi procedura corectă de osteotomie sunt principalii factori care maximizează stabilitatea primară (mecanică) a implantului. S-au sugerat strategii adiţionale, precum reducerea forţelor de încărcare şi recomandările pentru o dietă moale/lichidă în etapele iniţiale ale vindecării cu scopul de a obţine stabilitate la interfaţa os-implant şi osteointegrarea.
Acest articol prezintă trei cazuri clinice care ilustrează posibilităţile de încărcare imediată avansată cu utilizarea diverselor forme de implanturi.
Demonstrează, de asemenea, tratamentul defectelor osoase severe şi facilitarea plasării implanturilor în osul regenerat care poate fi încărcat imediat.
Mai mult, unii autori au crescut numărul implanturilor astfel încât să distribuie forţele de încărcare, cu utilizarea solidarizării rigide, prin intermediul restaurărilor fixe. S-au utilizat, de asemenea, implanturile tranzitorii (secundare) pentru încărcare imediată şi reabilitare provizorie, iar ulterior imobilizate cu implanturi vindecate, submersate (primare). Studiile recente au sugerat utilizarea diferitelor tipuri de restaurări în cazul mandibulei cu utilizarea bonturilor prefabricate, şi solidarizate cu ajutorul unei punţi mobilizabile cu încărcare imediată.
Stabilitatea primară, iniţială (Primary Stability, PS) depinde de nivelul contactelor primare la interfaţa os-implant în cursul inserării implantului. PS este un determinant important al supravieţuirii implanturilor, îndeosebi când acestea sunt încărcate imediat postoperator.
PS presupune lipsa mobilităţii în patul osos la inserţia implantului şi depinde de cantitatea şi calitatea osului, tehnica chirurgicală şi forma implantului.
Există diferite opinii ştiinţifice referitoare la factorii care influenţează PS. De exemplu, unele studii demonstrează că lungimea, geometria şi aria de suprafaţă a implantului şi contactele os-implant influenţează





Cazul (1) – MAXILAR: Figurile
1. Maxilar cu resorbţie avansată pre-grefarea osoasă.
2. După recoltarea blocului osos autogen de la nivelul ramului mandibular pentru regenerare osoasă ghidată, grefa compozită din os autogen şi alogrefă s-a utilizat pentru augmentarea crestei, fiind acoperită de membrană.
3. La 5 luni după augmentare, s-au inserat implanturile şi s-au conectat cu bonturi multibase pentru fixarea unei restaurări provizorii cu şurub şi încărcare imediată.
4. Restaurarea provizorie poziţionată imediat după inserarea implanturilor.
PS la nivel histologic, în timp ce alţii afirmă că PS este determinată de densitatea osoasă, forma implantului şi tehnica operatorie. Design-ul implantului şi asocierea cu stabilitatea primară a fost evaluată de multe grupuri de cercetători. Un studiu a prezentat rezultatele obţinute cu implanturi inserate (la câini), fără să se noteze diferenţe semnificative statistic în privinţa formării osului între formele implantare cilindrice şi conice, plasate cu ajutorul tehnicii ne-scufundate. Implanturile cu diferite geometrii şi diametre similare nu au prezentat nicio diferenţă în privinţa nivelului de presiune exercitat asupra osului. Diferite studii au raportat o stabilitate îmbunătăţită în cazul implanturilor conice în comparaţie cu cele cilindrice. Stabilitatea iniţială
pare să depindă însă de calitatea osului şi tehnica chirurgicală. În cadrul unei recenzii sistematice, s-a demonstrat o corelaţie pozitivă între PS a implantului şi densitatea osoasă în regiunea osteotomiei. Utilizarea frezelor cu diametru redus în cazul unei calităţi osoase slabe poate îmbunătăţi PS a implantului. Evaluarea clinică a PS a fost apreciată prin metode obiective, ce oferă o analiză a frecvenţei de rezonanţă (RFA), cu valori pentru coeficienţii de stabilitate a implantului (ISQ). Utilizând tehnica RFA, O’Sullivan et al au demonstrat, în cadrul unui studiu întreprins pe cadavre umane, PS mai mari în cazul implanturilor cu formă conică (în comparaţie cu cele neconicizate), indiferent de calitatea osului. Similar, Glauser et al au constatat valori RFA şi torsiuni de inserţie mai mari la implanturile conice faţă de cele cilindrice. Studiile recente au utilizat implanturi cu design conic plasate in vitro şi au obţinut valori ale PS mai mari decât în cazul implanturilor cu formă paralelă. Atât clinicienii experimentaţi cât şi cei mai puţin versaţi chirurgical au obţinut PS în mod constant; totuşi, clinicienii cu experienţă au dobândit valori ISQ mai mari cu implanturile conice plasate în os de calitate mai slabă.
Pe baza analizei critice a literaturii şi a experienţei clinice a autorului, imobilizarea implanturilor şi rezistenţa conexiunii dintre implant şi bont par să reprezinte factori semnificativi în dobândirea succesului clinic cu utilizarea conceptului de încărcare imediată.
Acesta oferă beneficii când implanturile trebuie plasate în locuri cu calitate osoasă slabă şi volum osos redus (cum ar fi în os moale, regiuni augmentate, inserarea implanturilor imediate, etc.) şi trebuie încărcate imediat. În situaţiile clinice cu dehiscenţă osoasă (sau fenestraţie) unde este necesară grefarea osoasă, se pot folosi implanturile cu PS bună, dar nu se pot încărca imediat dacă nu sunt stabile clinic
în momentul conectării bonturilor in situ. Fricţiunea crescută la interfaţa dintre implant şi bont necesită cuplu de torsiune mai redus pentru asigurarea unei închideri la nivelul conexiunii şi de aceea permite o mare varietate de opţiuni clinice cu încărcare imediată. Cazurile cu încărcare funcţională imediată în combinaţie cu procedurile simultane de elevare a sinusului sau inserarea implanturilor în alveole postextracţionale proaspete, implantarea cu grefare osoasă simultană, încărcarea imediată a implanturilor fără solidarizare directă, sau implanturile conectate cu dinţi naturali cu ajutorul unei solidarizări secundare reprezintă protocoale clinice ce necesită abilităţi chirurgicale şi protetice avansate, dar şi utilizarea unor forme de implanturi cu PS excelentă.
Conexiunile conice tip
Morse par să fie mai stabile dpdv mecanic în condiţii de încărcare, chiar şi când implanturile sunt solidarizate între ele. Se asociază cu o pierdere mai mică de os crestal comparativ cu alte conexiuni interne sau externe de tip butt-joint. Consideraţiile biologice, precum trauma operatorie (planarea osului pentru a crea spaţiu pentru restaurare) se asociază cu pierdere osoasă crestală, fără corelare cu utilizarea unui anumit design implantar, cu sau fără schimbare de platformă.
În general, este cunoscut faptul că hexagoanele externe prezintă un microspaţiu asociat cu acumulare bacteriană şi reacţii inflamatorii







la nivelul ţesuturilor învecinate. Chiar şi studiile anterioare au arătat in vitro scurgeri la nivelul diferitelor conexiuni dintre implanturi şi bonturi; studiile mai recente au demonstrat o închidere mai bună în cazul conexiunilor conice tip Morse, aceste sisteme fiind introduse de diverşi producători.
Cazul (1) – MANDIBULAR: Figurile
5. Mandibulă cu atrofie severă expusă prin elevarea unui lambou mucoperiostal.
6. Implanturile inserate în creasta alveolară subţire, planarea osului cu scopul de a crea spaţiu pentru restaurare, şi bonturile multibase conectate.
7. Augmentarea laterală a crestei.
8. Acoperirea regiunii cu grefă osoasă cu două membrane de colagen fixate.
9. Restaurarea provizorie poziţionată intraoral imediat post-inserare.
10. Evaluarea protetică la 2 ani după încărcarea imediată.
11. Rx panoramică la 2 ani după inserarea şi încărcarea implanturilor, demonstrând menţinerea crestei osoase.




Trebuie subliniat că nu toate conexiunile conice sunt Morse şi ar trebui determinat unghiul exact al suprafeţelor (interfaţa bont-implant) cu scopul de a asigura o închidere excelentă şi o stabilitate îmbunătăţită a bontului.
Implanturile cu conexiuni de tip Morse şi conceptele cu un bont - o etapă, cu (sau fără) inserarea subcrestală a implantului au fost evaluate de diverşi autori pentru



a controla pierderea osoasă (studii conduse pe câini). Alţi autori nu văd avantaje ale conceptelor terapeutice cu schimbare de platformă. Mai exact, chirurgia cu lambou şi plasarea subcrestală a implanturilor, implanturi asociate cu modificarea sau comutarea platformei cu bonturi standard, abordarea chirurgicală şi selectarea bonturilor par să aibă impact limitat asupra remodelării crestale, pierderii osoase şi
Cazul (2) – MAXILAR: Figurile
12. Rx panoramică preoperatorie: implanturile plasate în poziţii nerestaurabile protetic.
13. Implanturile frontale înainte de îndepărtare. S-a izolat canalul incizal înainte de îndepărtarea implantului, cu scopul de a reconstrui maxilarul anterior.
14. Nu s-a obiectivat strat de încapsulare fibroasă. Implanturile s-au integrat osos cu o stabilitate mecanică redusă.
15. Inserarea implantelor cu grefare osoasă simultană şi imobilizare cu membrană.
16. Conectarea bonturilor cu torsiune finală pentru încărcare funcţională imediată.
17. Material răşinic aplicat în matricea vacuformată în cadrul fabricării în cabinet a restaurării provizorii.
18. Restaurarea provizorie poziţionată intraoral imediat postoperator (fixată prin cimentare).
profilului mucos. De asemenea, când implanturile imediate s-au plasat subcrestal la câini, dimensiunea lăţimii biologice s-a situat în poziţia cea mai coronară, dar nu a avut nici un efect asupra minimizării pierderii osoase marginale. În cadrul unui studiu clinic recent ce a utilizat două forme diferite de implanturi cu schimbare de platformă şi diferite conexiuni implant-bont (butt-joint şi con Morse) la aceiaşi pacienţi, s-a
identificat o compoziţie bacteriană similară cu cea din parodontită şi periimplantită când forma implantului prezenta conexiunea butt-joint chiar şi atunci când pentru decontaminarea interfeţei implant–bont s-a folosit clorhexidina.
Într-un studiu clinic anterior, s-au utilizat bonturi telescopice la nivelul mandibulei pentru restaurări cu sprijin implantar şi încărcare imediată. S-au inserat patru implanturi
şi s-au conectat cu bonturi telescopice prefabricate (cu un unghi de 4°). Implanturile au fost încărcate imediat după inserţie şi s-au inserat bonturi secundare prefabricate în proteză. Prin utilizarea acestui concept de tratament în mandibulă, s-a raportat o rată crescută de supravieţuire după 2 ani de încărcare cu o perioadă maximă de încărcare de 129 luni.
La maxilar s-a utilizat un concept clinic similar cu încărcare imediată, în cadrul căruia implanturile s-au solidarizat cu dinţi sănătoşi parodontal prin intermediul unei proteze cu retenţie telescopică. S-a constatat o rată de succes crescută pentru implanturi şi dinţii restanţi, cu rezultat clinic predictibil ce a îmbunătăţit estetica şi controlul plăcii.
Cazurile clinice selectate demonstrează beneficiile protocoalelor chirurgicale avansate în combinaţie cu încărcarea funcţională imediată, utilizând diferite forme de implanturi şi conexiuni implant-bont. Acest raport include protocoale clinice cu grefare osoasă simultană, inserarea imediată a implanturilor şi/sau augmentarea sinusului atunci când este necesară reducerea duratei de tratament şi prevenirea complicaţiilor biologice şi a eşuării implanturilor.
Cazul (1)
Primul caz prezintă grefare osoasă la maxilar, incluzând augmentarea sinusului cu fereastră laterală (fig. 1-4). După 5 luni, se inseră implanturi cu bonturi multi-base şi se aplică o restaurare provizorie fixată cu şurub pentru încărcarea funcţională imediată.



La nivelul mandibulei (fig. 5-11), implanturile s-au inserat simultan cu augmentarea vestibulară cu alogrefă spongioasă şi încărcare imediată. Proteza finală fixată cu şurub a fost aplicată la 9 luni după încărcare. Rezultatul final, evaluat la 3 ani după încărcare, a relevat menţinerea excelentă a osului crestal şi rezultatul clinic satisfăcător.
Cazul (2)
Pacientul din acest caz a optat pentru inserarea implantelor în străinătate. Implanturile erau relativ stabile clinic, dar plasate în poziţii imposibil de restaurat protetic. Mai mult, sistemul de implanturi utilizat nu era aprobat de FDA, de aceea componentele protetice nu erau disponibile în SUA.
S-a decis îndepărtarea implanturilor şi grefarea osoasă avansată, cu o combinaţie de os autogen şi




Cazul (2) – MANDIBULAR:
Figurile
19, 20. Atrofia extremă a mandibulei înainte şi în cursul augmentării verticale şi orizontale cu material de grefare compus din os autogen şi bovin mineral. 21. Acoperirea materialului de augmentare cu două membrane de colagen pentru a imobiliza particulele de grefare.
22. Implanturile poziţionate şi pregătite pentru funcţionalizarea imediată.
23. Restaurările provizorii fabricate în cabinet (vacuformare) şi fixate prin cimentare în ocluzie, imediat postoperator.
24. Restaurările finale poziţionate (linia surâsului). 25. Rx panoramică la 3 ani după încărcarea imediată: lipsa pierderii osului crestal periimpantar.



mineral, acoperită cu o membrană de colagen imobilizată cu cleme de titan. După 4 luni de vindecare, s-au inserat implanturile şi s-au încărcat utilizând bonturi standard. Proteza provizorie (cimentată) s-a aplicat în ziua intervenţiei chirurgicale şi s-a fabricat în cabinet cu ajutorul dispozitivului de vacuformare. Printr-o abordare similară, s-au îndepărtat implanturile de la nivel mandibular şi s-au efectuat augmentări osoase verticale şi orizontale, cu repoziţionarea coronară a lamboului pentru o închidere lipsită de tensiune. La cinci luni ulterior, s-au inserat implanturile şi s-au conectat cu bonturile aferente în vederea încărcării imediate. Bonturile nu au fost înlăturate deloc, iar amprentele pentru proteza finală s-au înregistrat cu ajutorul bonturilor prefabricate şi cu analoage de implant. Protezele fixe au fost inserate intraoral şi cimentate cu

26. Aspectul la 2 săptămâni postextracţional al alveolei 1.5. cu ţesut de granulaţie.
27. Implant cu miez de tantal poros inserat
ciment provizoriu pentru evaluarea de control. Evaluarea clinică şi radiologică finală a demonstrat un rezultat excelent, pacienta fiind foarte mulţumită (fig. 12-25).
Cazul (3)
Acest caz schiţează o situaţie clinică, la limită. La două săptămâni după ce a suferit extracţia primului premolar drept maxilar, pacientul este nevoit să-şi mute domiciliul. În consecinţă, s-a decis inserarea unui implant printr-o tehnică de osteotomie simultană, închisă (augmentare verticală dinspre alveolă), şi conexiunea bontului (adaptare prin fricţiune) în vederea încărcării funcţionale imediate. S-a cimentat o coroană provizorie, recomandându-se o dietă moale pentru 2-3 luni. Proteza finală s-a fabricat extraoral, utilizându-se un bont de amprentare şi un analog de bont. S-a cimentat o coroană metalo-ceramică definitivă la 3 luni după încărcare. La controlul efectuat după 1 an, implantul prezenta stabilitate clinică excelentă, cu menţinerea ţesuturilor moi şi dure periimplantare (fig. 26-30). În asemenea cazuri sunt necesare abilităţi chirurgicale avansate, pentru a spori stabilitatea iniţială, îndeosebi atunci când se inseră implanturi unidentare în alveole postextracţionale proaspete.

prin tehnica de osteotomie închisă.
28. Conectarea bontului (conexiune cu adaptare prin fricţiune) pentru încărcare imediată.
29. Rx imediat postoperator.
30. Control Rx după 1 an, prezentând o oarecare pierdere osoasă datorată îndepărtării bontului iniţial în vederea amprentării şi aplicării coroanei.
Pentru utilizarea cu succes a conceptului biologic de încărcare imediată, sunt necesare o serie de condiţii ce pot îmbunătăţi aplicaţiile acestuia:
• să se obţină o stabilitate primară, iniţială, crescută a implanturilor;
• să se evite microdeplasările la interfaţa os-implant;
• să se încerce obţinerea contactelor primare largi între suprafaţa implanturilor şi osul de suport;
• să se folosească conexiuni implant-bont cu stabilitate mare (utilizând cuplu de torsiune redus pentru închidere);
• să se respecte o dietă moale în etapele iniţiale ale vindecării.
Progresele actuale din stomatologia implantară obţinute cu noile design-uri de suprafeţe şi implanturi, geometriile de platformă şi conexiunile dintre implant şi bont pot îmbunătăţi stabilitatea osului crestal.
Avantajele ce decurg includ:
• control mai bun al complicaţiilor biologice
• scurtarea perioadei totale de vindecare
• îmbunătăţirea rezultatului estetic final. ¤





