Actualități Stomatologice nr. 104

Page 1


www.aegisdentalnetwork.com

FONDATORI

Prof. Dr. Adi A. GARFUNKEL | Prof. Dr. D. Walter COHEN

PREȘEDINTE ONORIFIC

Prof. Dr. Nicolae GĂNUȚĂ

Decan-Emerit Facultatea de Medicină Dentară, București

Membru al Academiei de Științe Medicale

EDITOR ȘEF

Prof. Dr. Anca Silvia DUMITRIU

Medic primar Parodontologie, Doctor în Științe Medicale

Șef Disciplină Parodontologie, Prodecan, Facultatea de Medicină Dentară, Universitatea de Medicină și Farmacie Carol Davila, București

Vicepreședinte „Societatea Română de Parodontologie” European Federation of Periodontology Delegate

EDITOR ȘTIINȚIFIC

Societatea de Parodontologie din România membru al Federației Europene de Parodontologie

Președinte de Onoare:

Prof. Univ. Dr. Horia Traian Dumitriu membru titular Academia de Științe Medicale

COLEGIUL ȘTIINȚIFIC INTERNAȚIONAL

Prof. Dr. Louis F. ROSE

Profesor Clinic de Parodontologie

Universitatea Pennsylvania & New York, SUA

Profesor de Medicină și Chirurgie, Colegiul Medical, Universitatea Drexel, SUA

Prof. Dr. Markus B. BLATZ

Editor in Chief Compendium USA

Prof. Dr. Meyer Fitoussi, Franța

Prof. Dr. Michael Glick, Past-Editor-in-Chief JADA, SUA

Dr. Doron Haim, Israel

Prof. Dr. Harold W. Preiskel, Anglia

Prof. Dr. André P. Saadoun, Franța

COLEGIUL ȘTIINȚIFIC NAȚIONAL

Conf. Dr. Lidia Boboc

Prof. Dr. Emanuel Bratu

Dr. Alexandru Brezoescu

Prof. Dr. Dorin Borzea

Lector Univ. Dr. Lucian Chirilă

Prof. Dr. M. V. Constantinescu

Prof. Dr. Bogdan Dimitriu

Prof. Dr. Horia Dimitriu

Prof. Dr. Norina Forna

Membru corespondent Academia de Științe Medicale

Prof. Dr. Rodica Luca

Prof. Dr. Andrei Iliescu, Membru titular Academia Științe Medicale

Prof. Dr. Augustin T. Mihai

Prof. Dr. Alexandru Monea

Lector Univ. Dr. Ion Nicolescu

Prof. Dr. Ion Pătrașcu

Conf. Dr. Stana Păunică

Prof. Dr. Dragoș Stanciu

Prof. Dr. Mircea Surpățeanu

Prof. Dr. Șerban Țovaru

Prof. Dr. Constantin Vârlan

Asist. Univ. Dr. Anca Vereanu

ECHIPA EDITORIALĂ

EDITOR CONSULTANT

Dr. Tiberiu Gh. Silaghi medic primar

EDITOR EXECUTIV

Dr. Bianca G. Zaharia medic specialist

EDITOR ASOCIAT

Dr. Ana-Maria Herța medic specialist

TRADUCERE, REDACTARE

Lector Univ. Blanka Petcu

DESIGN

Concept grafic, DTP & Prepress Cătălin Cristescu

ART GROUP INT TIPAR

ABONAMENT

inregistrare@actualitatistomatologice.ro www.dentalnews.ro/gdpr

DISTRIBUȚIE

Poșta Română - TP nr. 109/C/3345/2020

MARKETING office@dentalnews.ro 0726 164 381 INFO www.dentalnews.ro/EMC EMC

Dental News, Manager financiar Ec. Lili Viorica Stoica

DEZVOLTARE WEB

Liviu Dincă www.webdin.ro

www.dentalnews.ro

ISSN: 1583-6010

DIGITAL DENTAL by MegaGen SOLUTIONS

Initial stability measuring system

MEDIT

Intraoral and desktop scanners

3D printers and materials

Surgical solutions

Guided surgery and immediate loading

Dental unit

Intraoral scanners and radiology solutions

Occlusal analysis system

Surgical solutions

Dental cameras

Cuprins

EDITORIAL ⊲

Specialitatea indispensabilă unui tratament de succes, predictibil și menținut în timp

EDIȚIE DEDICATĂ PARODONTOLOGIEI

BUSINESS OF DENTISTRY ⊲

PATIENT-PRACTICE PARTNERSHIP

Fundamentele afacerii pe care să dezvoltați praxisul dentar

ADOM ⊲

DENTAL OFFICE MANAGERS

Determină viitorul clinicii tale cu Dental Office Manager-ul potrivit: competențe necesare unui DOM de succes

CMSR ⊲

UPDATE

Care sunt principalele îmbunătățiri aduse Noului Regulament de Educație Medicală Continuă?

ESSENTIAL ⊲

PATIENT FIRST

8

SPECIAL REPORT ⊲

PREVENTION / HYGIENE

Tehnologia de gestionare a biofilmului: lustruirea cu aeropropulsie, o modalitate sigură și eficientă

16

Terapia parodontală: bazată pe rezultatele pacientului sau pe profit?

CONTINUING EDUCATION ⊲

PERIODONTAL RISK SCORE

Traducerea rezultatelor clinice prin utilizarea scorului de risc parodontal: o abordare terapeutică bazată pe dovezi

GUIDED BIOFILM THERAPY

GBT în gestionarea gingivitei descuamative – cazuri clinice

CASE STUDY ⊲

PERIODONTAL REGENERATION

7 soluții pentru tratamentul defectelor intraosoase parodontale

KOIS CENTER CASE ⊲

FULL-MOUTH REHABILITATION

Tratament inovator etapizat pentru o dentiție uzată din cauza efectelor GERD și a disfuncției ocluzale 58

RĂSPUNSURILE CORECTE la articolul de Educație Continuă publicat în ediția anterioară: “Implantologia fără grefare pentru arcade maxilare foarte atrofiate”: 1d, 2b, 3a, 4c, 5a, 6b, 7a, 8d, 9b, 10c, 11c, 12a, 13d, 14d, 15b, 16b, 17c, 18d, 19a, 20c.

Actualități Stomatologice

„Utilizarea scorului de risc parodontal - o abordare terapeutică bazată pe dovezi”; „7 chei pentru tratamentul defectelor intraosoase parodontale”; „Tehnologia de gestionare a biofilmului: lustruirea cu aeropropulsie”; și, nu în ultimul rând, „Terapia parodontală: bazată pe rezultate clinice sau pe profit?” sunt o parte din subiectele abordate în această ediție de sfârșit de an a revistei, dedicată - deloc întâmplător - parodontologiei. Să le luăm pe rând.

Scorul de risc parodontal: să ne însușim cunoștințe, concomitent cu educarea pacienților. Indiferent dacă pacientul prezintă sau nu un parodonțiu sănătos, scorul de risc parodontal - sau altfel spus fișa de evaluare parodontală - este un instrument valoros, bazat pe dovezi și motivant atât pentru noi, practicienii, cu scopul elaborării unui plan de tratament cu un prognostic favorabil, cât și pentru pacienții noștri care devin astfel conștienți de rolul lor în menținerea beneficiilor terapeutice

EDIȚIE DEDICATĂ PARODONTOLOGIEI

specialitatea indispensabilă unui tratament de succes, predictibil și menținut în timp

pe termen lung. Obiectivele acestui articol includ prezentarea modului de implementare în practica de rutină a scorului de risc parodontal, împreună cu evaluarea factorilor prognostici și discutarea rolului întreținerii parodontale – cheia succesului - în ajutarea pacienților să obțină și să mențină un scor <5.

Regenerarea parodontală: să planificăm tratamentul cu „lista de verificare” în minte. Articolul ne propune o abordare secvențială pentru optimizarea rezultatelor clinice în cazul diferitelor anatomii ale defectelor osoase parodontale, solidă din punct de vedere științific. Cele „șapte chei” propuse reprezintă un ghid în planificarea și execuția procedurilor regenerative, fiecare cu un rol esențial pentru un rezultat predictibil. Selectarea cuprinzătoare a cazurilor adecvate pentru proceduri regenerative (pe baza caracteristicilor pacientului, ale dintelui și ale defectelor), explicarea importanței terapiei combinate (grefe osoase, substanțe biologice, membrane) și înțelegerea protocoalelor de planificare, chirurgicale și postoperatorii sunt exemplificate printr-un raport de caz care demonstrează eficiența unei liste de verificare bazată pe dovezi.

Gestionarea biofilmului: să înțelegem cum să îl combatem eficient. Considerat factorul etiologic al unei game largi de afecțiuni orale, înțelegerea biofilmului și a tehnologiei de gestionare a acestuia este esențială. Dacă este utilizată cu o tehnică corectă și pulberi mai puțin agresive (glicina, eritritol), lustruirea cu aeropropulsie devine o metodă eficientă cu multiple avantaje (ședințe terapeutice mai scurte, experiență mai confortabilă și rată de acceptare mai bună din partea pacienților) tradusă prin beneficii clinice pe termen lung.

Terapia parodontală: bazată pe rezultatele clinice sau pe profit? Deși la prima vedere titlul poate părea filozofic, în opinia mea, această dezbatere argumentată este obligatorie pentru fiecare medic stomatolog, specialist sau nu.

Da! Cu siguranță, parodontologia este specialitatea indispensabilă unui plan de tratament conceput, planificat și condus pentru rezultate de succes imediat, dar mai ales predictibil și menținut pe termen lung. Fiind specialitatea mea, puteți să mă credeți pe cuvânt! Cu prietenie, Anca Silvia Dumitriu

THE BUSINESS OF DENTISTRY

Business Foundations on Which to Boost Practice Momentum by Carrie Webber. Originally published in Compendium of Continuing Education in Dentistry 44(4) April 2023. © 2023 AEGIS Publications, LLC. All rights reserved. Reprinted with permission of the publishers.

Fundamentele afacerii pe care să dezvoltați praxisul dentar

⊲ PATIENT-PRACTICE PARTNERSHIP

Despre autor: Carrie Webber

Owner and Chief Communications Officer, The Jameson Group (jmsn.com), a dental management, marketing, and hygiene coaching firm

PPentru a se bucura de stabilitate și creștere sănătoasă, un cabinet stomatologic necesită ca zeci de sisteme, procese și competențe de bază să fie corect implementate. Toate aceste sisteme lucrează împreună, asemenea unui mecanism bine uns pentru a atinge zilnic obiectivele și viziunea praxisului. Dar ce se întâmplă atunci când praxisul atinge un platou sau se simte blocat și nu mai crește, ci, dimpotrivă, scade în privința dezvoltării, a profitabilității și a realizării profesionale? Acest articol subliniază o serie de domenii fundamentale ale afacerii pe care se poate construi cu scopul de a spori numărul de noi pacienți, acceptarea tratamentului și creșterea generală a praxisului.

ATRAGEREA PACIENȚILOR

Dacă proprietarii de cabinete nu promovează activ praxisul și nu îl construiesc atât cu eforturi interne, cât și externe, proverbialul „fântână” va seca în cele din urmă, indiferent cât de „plin” pare programul sau în ce direcție se orientează economia. Cabinetele ar trebui să fie diligente în eforturile lor de promovare și ar trebui să-și măsoare obiectivele lunar.

Firma autorului sugerează că cel puțin 60% dintre pacienții noi ai unui cabinet ar trebui să vină din recomandări, indiferent că este vorba de cele verbale, recenzii sau altfel de trimiteri. Cel mai bun pacient nou este aproape întotdeauna un pacient trimis, întrucât, de obicei, aceștia au un nivel mai ridicat de încredere în valoarea cabinetului și a serviciilor pe care le pune la dispoziție. Prin urmare, este important ca praxisul să canalizeze eforturi și să stabilească moduri diferite de

comunicare cu pacienții existenți pentru a ajuta la creșterea acestor cifre în fiecare lună.

Un marketing intern eficient implică abilități de comunicare și verbale excelente, împreună cu e-mailuri, mesaje text, semnalizări, social media și campanii lunare eficiente. Menținerea acestor eforturi interne asigură faptul că praxisul solicită în mod constant recomandări și recenzii, menținând pacienții activi și educându-i cu privire la serviciile cabinetului - toate funcțiile pe care cabinetul nu își poate permite să le neglijeze.

Odată ce cabinetul îndeplinește în mod constant obiectivele în atragerea de noi pacienți prin eforturi interne, poate investi și se poate concentra pe dezvoltarea eforturilor sale externe. Acestea includ, dar nu se limitează la monitorizarea performanței și a aspectului site-ului web al cabinetului și menținerea prezenței pe canalele digitale, cum

ar fi rețelele sociale, marketingul de conținut și vizibilitatea organică. Aceste eforturi sunt esențiale pentru a menține praxisul în topul listelor de căutare atunci când potențialii pacienți își caută următoarea lor clinică stomatologică.

RETENȚIA PACIENȚILOR

Este mult mai ușor să dezvolți un cabinet din interior, prin retenția pacienților, decât să menții un flux constant de noi pacienți. Praxisurile nu își doresc ca pacienții să vină doar pentru a pleca și a nu se mai întoarce. Este esențial ca un cabinet să construiască valoare și o relație solidă cu pacienții săi, astfel încât aceștia să devină pacienți ideali și să rămână fideli pe termen lung.

Firma autorului predă abilități și procese care ajută praxisurile stomatologice să construiască „cei patru piloni” ai unui parteneriat sănătos între pacient și cabinet: încredere, necesitate, urgență și valoare. Dacă pacienții nu acceptă tratamentele necesare sau recomandate, sau nu rămân activi în cabinet, probabil că sunt ratați unul sau mai mulți dintre acești piloni. Fie pacienții nu au încredere în praxis sau în recomandările sale, nu înțeleg necesitatea de a rămâne activi sau de a primi îngrijirea prezentată, nu simt nevoia urgentă de tratament, și/sau, în cele din urmă, nu realizează valoarea cabinetului în viața lor sau în îngrijirea oferită de acesta.

Pentru a consolida acești patru piloni, praxisul trebuie să îmbunătățească continuu experiența generală a pacientului și abilitățile de comunicare în cadrul acesteia, așa cum este explicat în următoarele paragrafe:

Utilizarea și maximizarea mijloacelor vizuale. Camerele intraorale, scanerele și fotografiile pre- și post-tratament sunt câteva exemple de mijloace vizuale care ajută la educarea, motivarea și activarea pacien-

ților pentru a accepta și a continua tratamentul.

Stăpânirea abilităților verbale. Abilitățile verbale pe care le folosește medicul dentist și fiecare membru al echipei în interacțiunile cu pacienții, în special în prezentarea și susținerea tratamentului diagnosticat, pot fi factorul decisiv în determinarea pacientului de a spune „da” sau „nu” la un tratament și de a rămâne fidel cabinetului. De la modul în care se răspunde la telefon până la maniera în care se face programarea pacientului, fiecare interacțiune ar trebui să urmeze un proces ideal, clarificat pentru fiecare membru al echipei. Membrii echipei ar trebui să exerseze conversațiile astfel încât abilitățile lor verbale să construiască valoare în mintea pacienților.

Experiența pacientului. Pe lângă mijloacele vizuale și abilitățile de comunicare, există multe alte aspecte ale unui praxis stomatologic care pot ajuta la maximizarea experienței pacientului, cum ar fi: ușurința de a programa o ședință, modul în care pacientul este gestionat în fiecare tranziție a ședinței, condiția generală a facilității, brandul cabinetului, procesul de monitorizare a pacientului și ușurința cu care pacienții obțin ceea ce își doresc sau au nevoie. Când un cabinet pune accent pe îmbunătățirea continuă a experienței pacientului, de la tehnologie la facilități și până la serviciile oferite, crește nivelul de valoare perceput de pacienții existenți și de cei potențiali. Instruirea în abilitățile de comunicare ar trebui să fie o prioritate. Așa după cum afirma fondatoarea firmei autorului, Cathy Jameson, PhD: „nu există status quo; fie urci, fie cobori.” De aceea, fii pe o cale continuă de îmbunătățire.

SERVICII EXTINSE

Pe măsură ce stomatologia continuă să evolueze, înțelegerea și așteptări-

le pacienților cu privire la ceea ce este disponibil evoluează la rândul lor. Dacă un cabinet nu își extinde constant gama de servicii, este posibil ca pacienții să le caute în altă parte. În plus, multe cabinete s-au obișnuit să îndrume pacienții către alte clinici pentru o mare parte din tratamentele intermediare, în loc să asigure realizarea acestora chiar în cabinet, adăugând astfel valoare și crescând producția praxisului. Cabinetele ar trebui să analizeze ce tipuri de îngrijire clinică suplimentară ar putea încadra în portofoliul lor, pe care le-ar putea promova atât în rândul pacienților, cât și în comunitate. Un astfel de serviciu ar putea aduce beneficii atât cabinetului, cât și o resursă valoroasă pentru pacienții săi.

Timpul este unul dintre principalele motive pentru care pacienții renunță la tratament. Dacă un cabinet este capabil să ofere un plus de confort pacienților prin furnizarea de servicii suplimentare, permițându-le acestora să beneficieze de îngrijirea de care au nevoie în mai puține ședințe, toate în confortul cabinetului lor de încredere, gândiți-vă la valoarea acestui aspect. Cabinetele trebuie să continue să-și îmbunătățească modul de îngrijire a pacienților pentru a rămâne relevante și competitive.

CONCLUZII

Pe măsură ce un cabinet stomatologic își evaluează nevoile și oportunitățile, ar trebui să identifice unde anume poate îmbunătăți atragerea și retenția pacienților și extinderea serviciilor de specialitate. Abilitățile de comunicare eficiente și profesioniste sunt esențiale pentru aceste îmbunătățiri. Fiecare mic efort investit în aceste domenii se va reflecta în creșterea praxisului atât în prezent, cât și în viitor.

Determină viitorul clinicii tale cu Dental O ce Manager-ul potrivit

Competențe necesare unui DOM de succes

⊲ ADOM, LIDER EDUCAȚ IONAL ÎN BUSINESS MEDICAL

ROLUL COMPLEX AL UNUI DOM DE

SUCCES

În or ce cl n că sau cab net stomatolog c, succesul ech valează cu sat sfacț a pac enț lor ș buna organ zare a act v tăț . Iar rolul unu Dental Off ce Manager (DOM) este esenț al pentru a at nge această armon e. Responsab l pentru buna funcț onare a cl n c d n punct de vedere adm n strat v, f nanc ar ș log st c, Dental Off ce Managerul este, de fapt, l antul d ntre med cul propr etar, ech pa cl n c ș pac enț .

DE CE ESTE NEVOIE DE UN DENTAL OFFICE MANAGER?

Un manager de cl n că stomatolog că are mult ple responsab l tăț , f nd coordonatorul pr nc pal al act v tăț lor legate de personal ș pac enț . Rolul său este atât strateg c, pentru că mpl că plan f care pe termen lung ș stab l rea de ob ect ve, cât ș tact c, având în vedere că se ocupă de gest onarea z ln că a operaț un lor.

Un DOM mot vat ș ded cat nfluențează d rect n velul de sat sfacț e al pac enț lor, fac l tează coez unea ech pe med cale ș , în cele d n urmă, contr bu e la succesul bus ness-ulu respectând v z unea med culu propr etar.

ADOM s-a lansat în 2013, cu Școala DENTAL OFFICE MANAGERS, cel mai amplu program de management și marketing dedicat cabinetelor stomatologice din România. pac enț lor, se ocupă de rezolvarea reclamaț lor sau a urgențelor.

SARCINILE CHEIE ALE UNUI DENTAL OFFICE MANAGER. CE COMPETENȚE TREBUIE

SĂ AIBĂ?

În contextul compet ț e acerbe d n sectorul serv c lor stomatolog ce ș nevo de a ofer pac enț lor serv c de excelență, alegerea unu DOM competent poate f una d ntre cele ma sens b le dec z de bus ness pentru un med c antreprenor. Acest pas va nfluența performanța cl n c pe termen lung, as gurarea unu cl mat de lucru favorab l între coleg ș gradul de sat sfacț e al pac enț lor. În consec nță, este mportant să șt m care sunt pr nc palele responsab ltăț , dar ș atr butele nd spensab le unu DOM de succes:

(1) As gurarea une exper ențe opt me a pac enț lor

Cl n c le dentare sunt med d namce în care programăr le, resursele ș pr or tăț le se sch mbă frecvent. D n acest mot v, managementul ef c ent al pac enț lor este esenț al. Un Dental Off ce Manager trebu e să a bă, îna nte de toate, o bună capac tate de organ zare. El ver f că permanent agenda de programăr , se as gură că planur le de tratament sunt întocmte ș transm se către pac enț conform protocolulu ntern, menț ne contactul ș răspunde sol c tăr lor

O plan f care nef c entă poate duce la s tuaț neplăcute, afectând exper ența pac entulu ș product v tatea cl n c . DOM-ul trebu e să se as gure că t mpul f ecăru med c este opt m ut l zat ș că pac enț pr mesc atenț a de care au nevo e.

(2) Suport ș superv zare personal front desk

Un management bun al pac enț lor dep nde foarte mult de personalul de la recepț e. Una d ntre responsab l tăț le DOM-ulu este ca zona de front desk să funcț oneze fără probleme, de la întâmp narea pac ențlor, la gest onarea apelur lor telefonce ș adm n strarea f șelor pac enț lor.

Aceste operaț un setează tonul pentru întreaga v z tă a pac entulu , de aceea neces tă o atenț e spor tă. Pentru a îndepl n cu succes acest rol, este nevo e de o persoană cu ab l tăț clare de l der, capab lă să mot veze ech pa ș să contr bu e la dezvoltarea aceste a.

(3) Suport în act v tatea de market ng ș comun care

Comun carea este che a succesulu în or ce organ zaț e. DOM-ul poate f o punte de legătură între ech pa medcală ș pac enț , pe de o parte, ș între cl n că ș partener extern , pe de altă

parte. În oricare dintre aceste situații este nevoie de bune abilități de comunicare, negociere, dar și mediere. În calitate de reprezentant al clinicii, un DOM trebuie să dea dovadă de diplomație, să transmită informații clare și corecte, să identifice subiecte de interes pentru pacienți, să contribuie la promovarea imaginii clinicii. De asemenea, un DOM trebuie să știe să motiveze echipa, să îi inspire și încurajeze. Prin discuții constructive și feedback periodic, DOM-ul poate promova o cultură organizațională pozitivă, ceea ce duce la un mediu de lucru armonios și performant.

(4) Coordonarea cu echipa medicală

Printre responsabilitățile DOM-ului se numără și asigurarea necesarului de echipamente pentru echipa medicală, facilitarea comunicării medicilor cu pacienții, prin medierea eficientă a eventualelor probleme, prezentarea soluțiilor financiare oferite de clinică, organizarea logistică a participării medicilor la cursuri de specialitate/sesiuni de sharing. Pentru îndeplinirea acestor task-uri,

managerul trebuie să fie familiarizat cu cele mai noi instrumente și tehnologii. Softurile de gestionare a pacienților sunt esențiale pentru o clinică modernă. Un DOM bine pregătit știe să folosească aceste tehnologii în favoarea clinicii, eficientizând operațiunile și reducând erorile administrative. Capacitatea de a adapta clinica la noile tendințe, inclusiv introducerea de soluții digitale care să îmbunătățească experiența pacientului, poate diferenția o clinică de succes de una care stagnează sau irosește resurse financiare, umane și de timp prin procese învechite.

(5) Sprijină activitatea medicului proprietar/Top Management-ului Grație rolului său, un Dental Office Manager bun poate juca un rol important și în dezvoltarea clinicii prin susținerea activității medicului proprietar. Pe lângă gestionarea de zi cu zi a clinicii, DOM-ul poate propune soluții strategice de dezvoltare, măsuri de fidelizare a pacienților și prezintă rapoarte care pot influența luarea de decizii.

De asemenea, DOM-ul se poate implica în procesul de recrutare și retenție a echipei administrative, dar și în formarea și dezvoltarea continuă a angajaților. Prin intermediul programelor de training și evaluare, DOM-ul are un aport direct la îmbunătățirea calității serviciilor și la creșterea performanței individuale și de grup.

(6) Gestionarea activității financiar-contabile

Gestionarea eficientă a bugetului clinicii, inclusiv costurile cu materiale, echipamente și resurse umane, este vitală. DOM-ul este responsabil de monitorizarea cheltuielilor și veniturilor și de raportarea acestor date către proprietari sau top management. O bună înțelegere a fluxurilor financiare contribuie la luarea unor decizii informate care să optimizeze profitabilitatea clinicii.

Dental Office Manager-ul se ocupă, totodată, de gestionarea relațiilor cu furnizorii (de echipamente medicale, de produse consumabile, de software

și tehnologie, de servicii de marketing sau de servicii financiare), dar și de negocierea contractelor, astfel că trebuie să aibă cunoștințe financiare avansate și să fie familiarizat cu procesele de facturare și colectare a plăților.

(7) Managementul activităților administrative În sarcina unui Dental Office Manager intră, printre altele, implementarea protocoalelor interne, gestionarea relației cu furnizorii pentru întreținerea, înlocuirea, repararea echipamentelor, obținerea de autorizații specifice de funcționare, sau organizarea de evenimente interne, precum petreceri și teambuilding-uri.

Reziliența, capacitatea de adaptare și de a lua decizii rapide sunt calități indispensabile unui DOM. De la implementarea noilor reglementări privind siguranța pacienților până la introducerea de metode moderne de tratament, DOM-ul trebuie să fie pregătit să facă schimbări rapide, să aibă răbdare pentru a valida rezultatele și mai ales să își urmărească obiectivele indiferent de modificările contextuale. El trebuie să fie un pilon de stabilitate în fața provocărilor zilnice și să inspire echipa să rămână concentrată și motivată.

DE CE SĂ ALEGI ȘCOALA DENTAL OFFICE MANAGERS

ȘCOALA DOM

Alegerea unui DOM care să contribuie zi de zi la succesul clinicii trebuie realizată cu atenție. Rolul de Dental Office Manager este complex și necesită abilități de organizare, leadership, comunicare eficientă și management financiar.

Pentru a veni în întâmpinarea medicilor antreprenori, Asociația Dental Office Managers din România (ADOM), în prezent lider educațional în managementul dentar, a construit un program extins - Școala Dental

Office Managers - Școala DOMdedicat dezvoltării profesionale a managerilor de clinici.

„Antreprenoriatul medical generează numeroase întrebări. În urmă cu 11 ani, am înființat Asociația Dental Office Managers (ADOM) cu scopul de a forma, conecta și sprijini manageri de clinici și cabinete stomatologice, dar și profesioniștii din domeniu. În cadrul programelor ADOM, împărtășim expertiza de 25 de ani a DENT ESTET în antreprenoriat și management dentar, oferind acces la resurse educaționale valoroase, dar și experți în training și mentorat. În acest fel, managerii de clinici pot folosi informațiile obținute pentru a-și defini și implementa propriile strategii pentru succesul business-ului lor”, spune Dr. Oana Taban, CEO și fondator DENT ESTET, președinte ADOM

Structurată pe 3 module, Școala DOM oferă o abordare practică și cuprinzătoare, ajutând participanții să învețe cum să optimizeze procesele administrative și să-și dezvolte abilitățile de leadership, gestionare

financiară și implementare a tehnologiilor moderne în clinicile dentare. Programa pregătită de profesioniști cu peste 20 de ani de experiență în managementul dentar permite participanților să învețe tehnici avansate de gestionare a echipelor și de îmbunătățire a relațiilor cu pacienții.

În plus, datorită resurselor educaționale puse la dispoziție prin platforma ADOM Support Library, printre care se numără Model Contract de prestări servicii medicale sau financiar-contabile, Fișe de post pentru diverse poziții din cadrul clinicii, Profilul și ghidul de interviu, Protocolul de colaborare clinică-laborator tehnică dentară, Checklist-ul pentru avize necesare, participanții își pot construi propria experiență managerială pentru succesul clinicii stomatologice.

Vă invităm să consultați site-ul https://www.dentalmanagers.ro pentru a descoperi toate resursele educaționale disponibile în cadrul ediției XXVI a Școlii Dental Office Managers, care va avea loc în perioada februarie – martie 2025

Care sunt principalele îmbunătățiri

aduse Noului Regulament de Educație Medicală Continuă?

⊲ COLEGIUL MEDICILOR STOMATOLOGI DIN ROMÂNIA

NNoul Regulament EMC, votat de membrii Consiliului Național al Colegiului Medicilor Stomatologi din România (CMSR), a fost publicat în Monitorul Oficial. Printre principalele îmbunătățiri aduse acestuia se numără:

CREȘTEREA NUMĂRULUI

MAXIM DE CREDITE EMC

CARE POT FI ACORDATE

EVENIMENTELOR DE TIP HANDS-ON

Componenta practică a cursurilor este esențială pentru dezvoltarea profesională a medicilor stomatologi, încurajând perfecționarea în beneficiul pacienților și al excelenței în practica stomatologică. Astfel, potrivit noului Regulament, cursurile EMC de tip hands-on pot primi până la 10 credite EMC.

„Cursurile de tip hands-on aduc beneficii esențiale pentru dezvoltarea profesională a medicilor stomatologi. Demonstrațiile practice le permit acestora să simuleze situații reale în medii controlate. Astfel, cursanții se pregătesc eficient pentru provocările clinice și dobândesc o încredere sporită în aplicarea tehnicilor inovative. Învățarea interactivă în aceste cursuri, cu feedback în timp real, contribuie la o asimilare mai profundă a noilor informații, aducând un plus de valoare în calitatea serviciilor oferite pacienților”, afirmă Dr. Florin Lăzărescu, președinte CMSR.

CRITERII MAI CLARE

PENTRU A DEVENI LECTOR ACREDITAT

lamentului EMC este reprezentată de clarificarea și diversificarea criteriilor prin care medicii stomatologi pot deveni lectori acreditați. Astfel, formele de Educație Medicală Continuă pot fi susținute de medicii stomatologi care îndeplinesc minim trei dintre următoarele criterii:

(1) Dețin titlul profesional de medic stomatolog specialist sau dovada certificării prin examinare a calității de membru diplomat sau similar al unei societăți profesionale internaționale de profil;

(2) Dețin titlul științific de doctor în științe medicale;

(3) Au susținut câte o prelegere la cel puțin două evenimente dintre cele menționate la art. 3 alin. 2 din Decizia nr. 16/2CN/2021, organizate în domeniul stomatologiei de furnizori de educație medicală continuă acreditați sau de societăți profesionale internaționale de profil, în ultimii doi ani anteriori celui pentru care se solicită acreditarea;

(4) Au publicat minimum două articole, in extenso, în reviste de specialitate cotate ISI (International Scientific Indexing) cu factor de impact mai mare de 0,3.

*Lista societăților profesionale internaționale de profil agreate de CMSR se stabilește anual prin decizie a Comisiei EMC și se publică pe

pagina de internet a CMSR. Totodată, noul Regulament EMC uniformizează mecanica prin care profesioniștii din domeniu pot deveni lectori acreditați. Mai exact, atât cadrele didactice universitare cât și specialiștii care profesează vor trebui să-și depună dosarele de acreditare și să îndeplinească minim trei criterii din cele amintite mai sus. În acest mod, asigurăm o mecanică unitară pentru toți profesioniștii din domeniu, indiferent de statutul lor profesional.

ÎMBUNĂTĂȚIREA CADRULUI DE ACREDITARE A

LECTORILOR ȘI FORMELOR EMC

Regulamentul EMC prevede, de asemenea, și un nou termen intermediar în care lectorii și formele EMC pot depune dosare de acreditare. Potrivit vechiului Regulament, data de 15 noiembrie reprezenta unicul termen de depunere a dosarelor de acreditare pentru anul viitor, atât pentru lectori cât și pentru organizatorii de forme EMC.

Noul Regulament EMC include noi excepții menite să stimuleze organizarea de evenimente educaționale de calitate pe tot parcursul anului. Astfel, 15 noiembrie a rămas termenul limită până la care organizatorii de forme EMC au putut să-și depună dosarele de acreditare pentru anul următor. În același timp, tot până la data de 15 noiem-

brie au putut fi depuse și dosarele pentru organizarea congreselor, conferințelor și simpozioanelor planificate în prima jumătate a anului următor.

Însă, a fost prevăzut un nou termen limită intermediar, la data de 15 mai, până la care se poate solicita acreditarea lectorilor și formelor EMC de tip congres, conferință sau simpozion. În aceste cazuri, acreditările primite vor fi valabile pentru a doua jumătate a anului în curs.

PROFESIONIȘTII

NEACREDITAȚI

VOR PUTEA

SUSȚINE PRELEGERI LA EVENIMENTELE EMC

În noul Regulament EMC, Colegiul Medicilor Stomatologi din România (CMSR) a introdus o modificare care reflectă convingerea că expertiza poate îmbrăca diverse forme și merită valorizată. Profesioniștii desăvârșiți, recunoscuți de comunitate, vor avea astfel oportunitatea de a împărtăși cunoștințele lor cu participanții la evenimentele EMC, chiar dacă nu dețin o acreditare oficială de lector. Regulamentul revizuit permite profesioniștilor neacreditați să susțină prelegeri în cadrul manifestărilor de tip congres, conferință sau simpozion, în limita a maximum 10% din durata totală a prelegerilor din programul științific.

PROGRAM DE AUDIENȚE PENTRU MEMBRII

COLEGIULUI MEDICILOR

STOMATOLOGI

DIN

ROMÂNIA

O altă inițiativă lansată de membrii Biroului Executiv al CMSR este reprezentată de deschiderea unui program de audiențe pentru medicii stomatologi. Organizate în format exclusiv online, audiențele vor avea loc de 2 ori pe luna (în fiecare a 2-a și a 4-a zi de luni) între orele 09:00 – 11:00 și au o durată de 15 minute pentru fiecare dintre solicitanți. Programările pot fi realizate prin accesarea link-ului: cmsr.ro/audiente-cmsr

Audiențele vor fi acordate doar medicilor stomatologi membri ai CMSR, iar în acest sens, pe lângă numele complet și adresa de poștă electronică, este necesar ca la rubrica „Observații”, solicitantul să completeze numărul din Registrul unic național a medicilor stomatologi din România (în cazul în care medicii stomatologi nu își cunosc acest număr, sunt rugați să ia legătura cu colegiul teritorial din care fac parte, pentru a intra în posesia lui) precum și subiectul de discuție pentru care a fost solicitată audiența.

Întâlnirile online se vor realiza prin intermediul aplicației Microsoft Teams. După confirmarea programării audienței, medicii stomatologi vor primi pe adresa de e-mail indicată un mesaj cu detaliile necesare conectării.

Periodontal Therapy: Patient Outcomes–Based or Profit Center–Based? By Charles M. Cobb, DDS, PhD; Stephen K. Harrel, DDS; Michael P. Rethman, DDS, MS; John S. Sottosanti, DDS; and Lee N. Sheldon, DM. Originally published in Compendium of Continuing Education in Dentistry 44(7) July/ August 2023. © 2023 AEGIS Publications, LLC. All rights reserved. Reprinted with permission of the publishers.

Terapia parodontală: bazată pe rezultatele pacientului sau pe profit?

⊲ PATIENT FIRST

Despre autori:

Charles M. Cobb, DDS, PhD

Professor Emeritus, Department of Periodontics, School of Dentistry, University of Missouri-Kansas City, Kansas City, Missouri

Stephen K. Harrel, DDS

Adjunct Professor, Department of Periodontics, Texas A&M College of Dentistry, Dallas, Texas

Michael P. Rethman, DDS, MS

Adjunct Associate Professor, University of Maryland, School of Dentistry, Baltimore, Maryland; Adjunct Assistant Professor, Ohio State University, College of Dentistry, Columbus, Ohio

John S. Sottosanti, DDS

Former Associate Clinical Professor, University of Southern California, School of Dentistry, Los Angeles, California; Private Practice, San Diego, California

Lee N. Sheldon, DMD

Former Associate Clinical Professor, University of Florida College of Dentistry, Gainesville, Florida; Private Practice, Melbourne, Florida

Multiple articole recente au solicitat ghiduri practice bazate pe rezultate și centrate pe pacient pentru terapia parodontală. În termeni simpli, terapia parodontală trebuie să fie în conformitate cu tratamentele bazate pe dovezi și să fie orientată spre ceea ce este corect pentru pacient la nivel clinic. Având în vedere acest lucru, autorii susțin că mulți pacienți cu boală parodontală nu beneficiază în timp util de un tratament și o gestionare a bolii acceptabile.

Chiar și în cazul în care se presupune că a fost realizat un diagnostic corect și în timp util al parodontitei, tratamentele efectuate pot fi adesea inadecvate și/sau incomplete, ceea ce duce la un eventual eșec. Pacienții cu afecțiuni parodontale care sunt tratați și gestionați necorespun-

zător nu primesc o îngrijire etică, probabil din cauza ignoranței din partea furnizorului de servicii sau a deciziilor motivate de profit care demonstrează o lipsă de preocupare pentru pacient.

Deși un procent ridicat din tratamentele parodontale este într-adevăr destinat restabilirii sănătății parodontale a pacienților, o căutare rapidă pe internet (folosind cuvintele cheie „parodontal” și „profit”) produce numeroase rezultate care sunt clar orientate spre crearea unui centru de profit și nu menționează niciodată sănătatea pacientului. Multe dintre informațiile identificate într-o căutare referitoare la tratamentele parodontale/profit sunt protejate prin drepturi de autor, așa că nu cităm din aceste site-uri, dar chiar și o recenzie sumară dezvăluie o tendință alarmantă spre recowww.dentalnews.ro

mandări de tratament care sunt determinate de profit, mai degrabă decât de rezultatele pacienților. Planificarea tratamentului pentru maximizarea profiturilor este caracteristică tranziției către o breaslă comercială și se distanțează de parodontologia profesională și bazată pe știință, care dictează gestionarea și îngrijirea adecvată a pacienților.

O FORMĂ DIFERITĂ DE „NEGLIJARE SUPERVIZATĂ”

A existat o perioadă când boala parodontală era adesea subdiagnosticată. Pacienții erau frecvent dispensarizați pentru o „profilaxie” de rutină la fiecare 6 luni, dar starea lor parodontală nu era niciodată măsurată sau abordată. Acest lucru era numit pe scurt „neglijare supervizată”. În prezent, mulți pacienți sunt diagnosticați corect cu parodontită, dar recomandările de tratament și punctele de evaluare terapeutică la re-evaluare sunt inadecvate pentru a controla boala. Aceasta pare a fi o formă diferită de „neglijare supervizată”. Situația actuală de a diagnostica adecvat boala parodontală, dar de a oferi o terapie inadecvată pare să îndeplinească, din păcate, afirmația filosofului Eric Hoffer: „Fiecare mare cauză începe ca o mișcare, devine o afacere și, în cele din urmă, degenerează într-o escrocherie.”

Conceptul actual de „centru de profit parodontal” și programele de gestionare a țesutului moale sunt pe termen scurt și inadecvate din mai multe motive - cel mai evident fiindcă acestea prioritizează venitul și profitul în detrimentul îngrijirii de calitate și bazate pe dovezi. În cazul diferitelor programe de „gestionare a țesutului moale” asemănătoare unor rețete, numele spune totul; adică, pierderea osoasă, invazia furcației și retracția gingivală par să nu fie o preocupa-

re. Ce s-a întâmplat cu tratamentele de augmentare a țesutului moale și osos, cu intervalele de întreținere personalizate și cu re-evaluarea continuă a stării parodontale etc.? Cu alte cuvinte, conceptul abordează doar partea de inflamație a țesutului moale a parodontitei.

Acest tip de abordare nu recunoaște că parodontita este o boală multifactorială și faptul că în lipsa tratamentului corespunzător, va duce la o deteriorare progresivă a țesuturilor dure și moi. În medicină și stomatologie, ceea ce este considerat inițial un adevăr, cu timpul se dovedește în mod frecvent a fi un fals, într-o manieră imprevizibilă și nonlineară. Adesea, ceea ce este promovat ca un adevăr științific se poate întoarce dublu înapoi, adică un adevăr într-o zi poate deveni brusc mai puțin adevărat în a doua zi și, în cele din urmă, poate fi abandonat. Din nou, o căutare rapidă pe internet va dezvălui numeroase produse nevalidate sau slab testate, despre care se raportează că „reduc durerea dentară”, „regenerază țesutul gingival sănătos” și „promovează vindecarea țesuturilor și a osului”. Luați în considerare, de exemplu, „remediile” revendicate prin periajul cu bicarbonat de sodiu și peroxid de hidrogen, gargara cu uleiuri, pasta de curcuma, soluțiile de clătire orală cu salvie, ceaiul verde etc. Numeroase produse de clătire orală susțin o „reducere a gingivitei și a bolii gingivale”. Am putea accepta o „reducere a gingivitei”, dar în timp ce această „boală gingivală” este vag abordată? Dacă este vorba despre parodontită, atunci răspunsul nostru este: dovediți-o cu studii clinice bine concepute și cu cercetare de calitate. Acest lucru a fost realizat pentru așa-numita tehnică Keyes care folosea sarea și peroxidul de hidrogen. Nu s-au demonstrat beneficii clinice atunci când au fost efectuate teste știin-

țifice multicentrice, stricte, bine concepute.

De asemenea și nu în ultimul rând există un motiv anume pentru care soluțiile de clătire cu clorhexidină nu sunt promovate ca tratament pentru parodontită - probabil pentru că lichidul nu penetrează mai adânc de 2 mm până la 3 mm într-o pungă parodontală. Clinicienii trebuie să evite a se agăța de cel mai recent „remediu la modă” și să ignore știința calitativă.

CE DICTEAZĂ DECIZIA?

Adesea, pacienții de încredere primesc ceea ce cred că este o îngrijire parodontală adecvată. Dar este așa? După detartraj și planare radiculară (scaling and root planing, SRP), cât de des există dovezi radiografice ale tartrului retenționat sau ale sângerării la sondare (bleeding on probing, BOP)? Cât de des este tratamentul re-evaluat în mod corespunzător? Datele clinice colectate la re-evaluare sunt folosite pentru a lua o decizie rațională cu privire la terapia ulterioară, sau pacientul este pur și simplu informat că „vom urmări și vom vedea dacă se îmbunătățește” și este angajat într-un program de întreținere („bancă de recall”)?

O altă opțiune mai puțin ideală ar putea fi repetarea tratamentului SRP, în speranța de a obține un rezultat mai bun. Adesea, recomandarea de a efectua SRP suplimentar este dictată de beneficiile asigurării care permit un al doilea tratament. Totuși, cercetările au arătat în mod constant că ședințele repetate de SRP rareori ameliorează problema. Când boala parodontală stăruie, de obicei pe baza persistenței BOP, trebuie luate în considerare opțiuni de terapie avansată sau îndrumarea către specialist.

Implanturile fiind prezentate ca o înlocuire pentru dentiția naturală,

mulți dentiști, igieniști și pacienți s-au convins că parodontita este o stradă cu sens unic spre pierderea dinților și că implanturile sunt soluția finală. Totuși, această credință nu este neapărat corectă, iar în realitate, prea mulți dinți sunt extrași cu un diagnostic de parodontită în stadiul III sau IV, când literatura științifică susține că majoritatea, dacă nu chiar toți dinții afectați parodontal pot fi tratați și menținuți timp de mulți ani - adesea pe durata vieții unui pacient. Într-adevăr, este probabil să fie mai puțin costisitoare tratarea și menținerea acestor dinți pe arcadă, decât să se extragă și să se insere un implant dentar. Acest aspect devine deosebit de relevant, având în vedere că mucozita periimplantară și periimplantita au rate de prevalență de 43% și, respectiv, 22%. Iar aceste condiții conduc adesea la eșecul implantului.

Este discutabil dacă tipul de prevalență a bolii observată la implanturi reprezintă o îmbunătățire semnificativă față de cel observat în dentiția naturală. Clinicienii schimbă pur și simplu parodontita cu periimplantita? Implantul este un tratament eficient atunci când un dinte este cu adevărat lipsit de speranță, dar nu reprezintă soluția universală lipsită de probleme, așa cum este adesea prezentat.

Este timpul să definim, să promovăm și să susținem puternic parametrii bazați pe știință pentru gestionarea parodontitei în întreaga stomatologie. Toți furnizorii de servicii dentare ar trebui să fie susținători ai tratamentelor dovedite eficiente în numeroase situații clinice și care sunt susținute de literatura științifică. Toți clinicienii ar

trebui să aibă o înțelegere contemporană a modului de a gestiona în mod corespunzător parodontita în practica generală și când anume este tratamentul parodontal în cel mai bun interes al pacientului. Un adevărat profesionist stabilește diagnosticul, tratează și menține sănătatea orală a pacientului pe baza științei și cu preocupare pentru bunăstarea pacientului. Diagnosticul și tratamentul bazate pe acoperirea asigurării sau pe ceea ce dorește pacientul, în loc de nevoile acestuia, nu ajută nici pacientul, nici cabinetul dentar. Dacă medicul principal nu are pregătirea sau autoritatea legală de a efectua terapie parodontală avansată, este imperativ din punct de vedere etic ca pacientul să fie îndrumat către un specialist cu pregătirea necesară. Neglijarea supervizată este un tratament neetic și niciodată în cel mai bun interes al pacientului.

Translating Clinical Outcomes to Patient Value Through Use of the Periodontal Risk Score:

⊲ PERIODONTAL RISK SCORE CONTINUING EDUCATION

An Evidence-Based Treatment Approach by Robert A. Levine, DDS; Preston D. Miller, DDS; Debora R. Dias, DDS, MSc; Muhammad H.A. Saleh, BDS, MS, MSD; Dharmarajan Gopalakrishnan, BDS, MDS, PhD; Gustavo Fernandes, DDS, MSc, PhD; HimaBindu Dukka, BDS, MSD, MPH; Kellyann Ehrmann, RDH; Philip L. Fava II, DMD, MDSc; and Maurício G. Araújo, DDS, MSc, PhD. Originally published in Compendium of Continuing Education in Dentistry 44(1) January 2023. © 2023 AEGIS Publications, LLC. All rights reserved. Reprinted with permission of the publishers.

Traducerea rezultatelor clinice prin utilizarea scorului de risc parodontal: o abordare terapeutică bazată pe dovezi

Despre autori:

Robert A. Levine, DDS

Clinical Professor, Periodontology and Implantology, Kornberg School of Dentistry, Temple University, Philadelphia, Pennsylvania; Private Practice, Pennsylvania Center for Dental Implants and Periodontics, Philadelphia, Pennsylvania

Preston D. Miller, DDS

Former Clinical Professor of Periodontics, University of South Carolina, Charleston, South Carolina

Debora Reis Dias, DDS, MSc

PhD Candidate, State University of Maringá, Maringá, Paraná, Brazil

Muhammad H.A. Saleh, BDS, MS, MSD

Adjunct Clinical Assistant Professor, Periodontics and Oral Medicine, University of Michigan School of Dentistry, Ann Arbor, Michigan

Dharmarajan Gopalakrishnan, BDS, MDS, PhD

Dean, Professor and Head (Chair), Department of Periodontology, Dr. D.Y. Patil Dental College and Hospital, Dr. D.Y. Patil Vidyapeeth, Pune, Maharashtra, India

Gustavo Fernandes, DDS, MSc, PhD

Adjunct Clinical Assistant Professor, Periodontics and Oral Medicine, University of Michigan School of Dentistry, Ann Arbor, Michigan

HimaBindu Dukka, BDS, MSD, MPH

Associate Professor, Department of Diagnosis and Oral Health; Adjunct Faculty, Department of Oral Immunology and Infectious Diseases; Director, Graduate Periodontics, University of Louisville School of Dentistry, Louisville, Kentucky

Kellyann Ehrmann, RDH

Private Practice, Pennsylvania Center for Dental Implants and Periodontics, Philadelphia, Pennsylvania

Philip L. Fava II, DMD, MDSc

Private Practice, Pennsylvania Center for Dental Implants and Periodontics, Philadelphia, Pennsylvania

Maurício G. Araújo, DDS, MSc, PhD

Associate Professor, State University of Maringá, Maringá, Paraná, Brazil; Private Practice in Dental Implants and Periodontics, Rio de Janeiro, Rio de Janeiro, Brazil

Determinarea prognosticului dentar este de o importanță majoră pentru a ajuta atât practicianul, cât și pacientul să înțeleagă riscurile și beneficiile tratamentului, oferind în același timp o perspectivă asupra prognosticului parodontal și ajutând la elaborarea unui plan de tratament personalizat. Scorul de risc parodontal (periodontal risk score, PRS) este un instrument simplu, validat statistic, precis și motivant ce poate fi utilizat în practica zilnică atât la pacienții sănătoși, cât și la cei afectați parodontal, aceștia fiind încurajați să atingă un obiectiv/ scor-țintă prin respectarea unui plan de întreținere parodontală. Scopul acestui articol este de a prezenta clinicienilor modul de implementare a acestui instrument bazat pe dovezi și, astfel, de

Figura 1

Scorul de risc parodontal (PRS) sau raportul de evaluare parodontală.

Obiectivul pacientului este un scor PRS de sub 5.

Dintele

Vârsta Fumat Nivelurile HbA1c Tip molar Adâncimea de sondare (mm) Furcație

a ajuta pacienții să își îmbunătățească prognosticul parodontal pe termen lung.

Caracterizată prin distrugerea progresivă a aparatului de susținere al dinților, parodontita este o boală inflamatorie cronică multifactorială care poate duce la pierderea dinților și la dizabilitate, afectând astfel negativ funcția masticatorie, estetica și calitatea vieții. De asemenea, parodontita poate fi un factor agravant care contribuie la progresia bolilor sistemice și s-a raportat că ar putea avea o relație cauză-efect

bidirecțională. Parodontita produce o gamă largă de semne și simptome adverse. Aprecierea severității și complexității bolii parodontale implică evaluarea parametrilor clinici și radiografici, cum ar fi sângerarea la sondare (bleeding on probing, BOP), adâncimea sondării (probing depth, PD), nivelul de atașament clinic, mobilitatea, implicarea furcației și pierderea osoasă radiografică. Pentru determinarea prognosticului dinților afectați parodontal au fost sugerate diverse metode. Pentru ca un indice de prognostic să fie utilizat în mod obișnuit în

activitatea clinică, trebuie să fie nu doar precis, ci și simplu și rapid de utilizat în cabinet, necesitând un timp minim pentru a evalua pacientul. În plus, un indice de prognostic eficient ar trebui să fie semnificativ pentru pacienți, oferindu-le motivația de a-și îmbunătăți sănătatea parodontală.

Scorul de risc parodontal (periodontal risk score, PRS) folosește un sistem simplu de evaluare care poate fi utilizat în practica clinică zilnică pentru a determina prognosticul parodontal. În loc să se bazeze

Chirurgie & Implantologie

O soluție bazată pe fluxul de lucru chirurgical

Combinația dintre Implantmed Plus și modulul Piezomed transformă radical chirurgia orală și implantologia.

Cum reducem riscul de eșec al implantului?

Prin monitorizarea corectă a unor variabile, cum sunt factorii de risc ai pacientului, torque-ul de inserție al implantului sau procesul de vindecare osoasă:

Pachet Chirurgie 01

Turn chirurgical “all-in-one”

› Cart pentru chirurgie

› Implantmed SI-1023 + Micromotor EM-19 LC

› Pedală fără fir S-NW

› Piesă de mână cu LUMINĂ WS-75 L

› Modul Piezomed Plus SA-435

› Setul BONE + Setul SINUS + Ansa B6

› Osstell Beacon

Pachet Chirurgie 02 Implantmed Plus + 1 Piesă de mână +Piezomed Plus

› Implantmed SI-1023

› Piesă cu lumină WS-75 L, S-11 L sau WS-91 L

› Modul Piezomed Plus SA-435

› Setul BONE + Ansa B6

Ansa B6

Ansă fierăstrău specială pentru tăieturi fine și adânci în timp record. Indicată în special pentru recoltarea de blocuri osoase, despicarea crestei alveolare, separarea rădăcinilor și pentru rezecții apicale.

Pachet Chirurgie 03

Implantmed Plus +1 Piesă de mână

Pachet Chirurgie 05

Implantmed Plus + 1 Piesă de mână

› Implantmed SI-1023

› Piesă cu lumină WS-75 L, S-11 L sau WS-91 L

+Osstell Beacon

› Implantmed SI-1023

› Piesă cu lumină WS-75 L, S-11 L sau WS-91 L

› Osstell Beacon

Pachet Chirurgie 04

Implantmed Plus +2 Piese de mână

› Kit Implantmed SI-1023

› 2x Piesă cu lumină WS-75 L, S-11 L sau WS-91 LL

exclusiv pe indicatori clinici în scopul evaluării stării de sănătate orală și a necesităților de tratament, PRS include, de asemenea, parametrii sistemici și de stil de viață ca factori prognostici pentru a ajuta la determinarea prognosticului dentar (fig. 1). În acest sistem de prognostic sunt luați în considerare factori de risc recunoscuți, recent încorporați în clasificarea parodontitei, inclusiv fumatul și diabetul. PRS este utilizat la pacienții cu parodontită sau cu un parodonțiu sănătos deopotrivă și oferă un scor numeric pentru prognosticul parodontal al pacientului la 15 și 30 de ani. PRS, cu „obiectivul țintă” de <5, traduce rezultatele clinice ale tratamentului în valoarea pacientului, ajutând pacienții să-și înțeleagă prognosticul parodontal pe termen lung.

Această abordare este similară cu modul în care un medic ar putea discuta obiectivele cu un pacient pentru renunțarea la fumat, gestionarea hipertensiunii sau îmbunătățirea controlului glicemic. În acest fel, PRS servește ca un instrument de motivare simplu, eficient, bazat pe dovezi, validat statistic și precis. Prin urmare, scopul acestui articol este de a prezenta clinicienilor modalități eficiente de implementare a acestui instrument în practica zilnică.

OBIECTIVELE ȘI APLICAȚIILE PRS

Există patru obiective principale ale utilizării PRS. Primul este de a motiva pacientul să accepte și să finalizeze tratamentul, crescând în același timp conștientizarea acestuia cu privire la importanța respectării întreținerii parodontale, principalele aspecte fiind definite în acest sistem ca fiind „cheile succesului” (descrise în secțiunea următoare a acestui articol). Al doilea obiectiv este de a încuraja

pacienții să facă schimbări în stilul de viață pentru a-și îmbunătăți sănătatea parodontală și sistemică globală. Aceasta poate include renunțarea la fumat, controlul mai bun al glicemiei și respectarea fazei de întreținere parodontală a tratamentului (de exemplu, terapia parodontală de susținere [supportive periodontal therapy, SPT]). Al treilea obiectiv, obținut prin sistemul simplificat de evaluare PRS, este de a împuternici toți membrii echipei clinice să prezinte PRS pacientului pentru a iniția o discuție despre tratament și despre atingerea obiectivului țintă de <5. În acest sens, autorii consideră profesioniștii dentari „medicii cavității orale”. (Pentru a ajuta la formarea personalului în evaluarea pacienților, autorii recomandă parcurgerea webinarului Levine-Miller MMPPI în cadrul unei întâlniri de echipă programate). Al patrulea obiectiv al utilizării PRS este de a încuraja pacientul să recomande direct familiei și prietenilor cabinetul pe care îl frecventează.

CHEILE SUCCESULUI

„Cheile succesului” reprezintă aspecte cruciale ale întreținerii parodontale. Discutarea și sublinierea importanței lor în ajutarea pacientului pentru a atinge obiectivul țintă al unui scor PRS <5 este o parte esențială a examenului inițial, deoarece oferă acestuia un obiectiv specific de atins și mijloacele de menținere. Respectarea acestor chei va permite pacienților să aibă succes în întreținerea parodontală; totuși, cheile în sine nu reprezintă o promisiune a succesului. Mai degrabă, ele servesc ca un ghid pentru a facilita succesul pacientului, iar pacientul trebuie să își accepte rolul de „co-terapeut” și să își asume responsabilitatea de a respecta cu diligență aceste chei. Cele cinci „chei ale succesului” sunt

următoarele: periajul dentar, igienizarea spațiilor interdentare și a limbii zilnic; finalizarea tratamentelor recomandate; respectarea programului de întreținere stabilit; controlul nivelului glicemic (dacă pacientul are diabet) cu un obiectiv de <6% pentru valoarea hemoglobinei A1c (HbA1c); renunțarea la fumat (dacă pacientul este fumător).

Trebuie menționat că cea mai mare parte a bacteriilor restante după periajul dinților și curățarea interdentară se află localizate în treimea posterioară a limbii. Aceste bacterii nu pot fi îndepărtate cu o periuță de dinți fără a provoca reflexul de vomă. Pentru a le elimina, este necesară o racletă linguală metalică (Autorii sugerează vizitarea site-ului https://pdmillerswebtextbook.com/ pentru a viziona videoclipuri online despre tehnica de curățare a limbii și de dezinfectare a cavității orale).

Pe baza studiului realizat de Miller și colab., pacienții nu ar trebui niciodată să piardă un dinte din cauza bolii parodontale dacă respectă toate cele cinci „chei ale succesului”. Totuși, pot exista cofactori suplimentari care trebuie discutați și posibil abordați cu pacientul. Aceștia includ probleme dentare asociate cu xerostomia indusă de medicamente (medication-induced xerostomia, MIX) care poate duce la o susceptibilitate crescută la carii, în special sub forma cariilor radiculare. Acest lucru este deosebit de important astăzi (post-COVID), deoarece pacienții folosesc mai multe medicamente asociate cu MIX decât în 2014, atunci când datele originale ale studiului au fost colectate și publicate. În plus, obiceiurile parafuncționale trebuie controlate prin utilizarea unui dispozitiv de protecție dentară pe timp de noapte, atunci când este cazul.

Chiar și pacienții cu un parodonțiu sănătos ar trebui să fie încurajați să respecte „cheile succesului”, deoarece acestea sunt esențiale nu doar pentru atingerea, ci și pentru menținerea sănătății orale generale. De asemenea, dacă un pacient tratat parodontal în antecedente prezintă un scor PRS mai mare (adică un prognostic agravat) la o ședință de întreținere parodontală post-tratament, cele cinci chei ar trebui revizuite din nou pentru a determina ce aspecte ale întreținerii parodontale ar putea necesita o atenție mai sporită din partea pacientului. De asemenea, o valoare PRS crescută ar putea să implice o discuție despre posibilitatea de a crește frecvența întreținerii parodontale, necesitatea unei retratări specifice a locației sau modificări în planificarea tratamentului.

SCORUL PRS

Cunoscut anterior sub denumirea de indicele de prognostic parodontal Miller-McEntire (MillerMcEntire periodontal prognosis index, MMPPI), PRS a fost inițial destinat pentru a evalua factorii prognostici specific pentru dinții molari. Astăzi, autorii îl folosesc mai larg și subliniază că, deși PRS evaluează un molar, testul reflectă prognosticul parodontal al întregii cavități orale.

Autorii sugerează evaluarea molarului cel mai afectat parodontal („cel mai rău”) care este planificat să fie menținut. În acest sistem, scorurile variază de la 0 la 11, obiectivul țintă fiind obținerea unui indice PRS de <5, așa cum s-a menționat anterior. Miller și colab au demonstrat statistic că pacienții cu un scor de <5 nu ar trebui să piardă niciodată un dinte din cauza bolii parodontale. Astfel, cu un scor între 1 și 4, dintele este considerat a avea un prognostic „excelent”; un scor între 5 și 7 înseamnă un prognostic „bun”; iar un scor de 8 sau mai mare echivalează cu un prognostic „rezervat”. Dacă pacientul urmează planul terapeutic recomandat, scorul post-tratament ar trebui să se îmbunătățească semnificativ, ceea ce poate fi extrem de motivant pentru pacient.

PRS atribuie scoruri pentru șapte factori prognostici, inclusiv factori de risc recunoscuți pentru boala parodontală, cum ar fi fumatul și diabetul zaharat. Starea de fumat a pacientului, fie că este ușor, intens sau fost fumător, poate juca un rol în prognosticul dinților. La pacienții cu diabet zaharat diagnosticat sau suspectat anterior, trebuie evaluate valorile HbA1c pentru a obține un scor mai precis.

Pacienții care nu au fost diagnosticați cu diabet zaharat sau nu își cunosc nivelul HbA1c, sau au un istoric familial de diabet, ar trebui să fie îndrumați la un medic pentru efectuarea analizelor de sânge necesare.

Pentru a reitera, PRS se bazează pe evaluarea celui mai afectat molar parodontal, pe care clinicianul intenționează să-l mențină pe arcadă, însă scorul se reflectă asupra întregii cavități orale și nu doar pe dintele evaluat. Utilizarea PRS are scopul de a reduce interrelațiile inflamatorii parodontale-sistemice pentru a îmbunătăți nu doar sănătatea parodontală, ci și sănătatea sistemică.

Cei șapte factori ai pacientului care sunt evaluați în PRS sunt următorii:

Vârsta.

Deși vârsta pacientului are un efect minim asupra prognosticului parodontal pe termen lung, aceasta este clasificată după cum urmează: scor 0 = vârsta 1–39 ani; scor 1 = vârsta ≥40 ani.

Fumatul.

Fumatul este cel mai semnificativ factor negativ în determinarea prognosticului parodontal. Fumatul crește cu 246% șansele de a pierde dinți din cauza bolii parodontale. Acest factor este evaluat în funcție de starea de fumat a pacientului: scor 0 = nefumător sau fost fumător (≥3 luni); scor 4 = fumător (determinat statistic prin raportul de hazard Cox).

Este important de menționat că obiectivul general al acestui test este de a atinge un scor PRS sub 5, moment în care pacientul nu ar trebui să piardă niciun dinte din cauza bolii parodontale. De exemplu, dacă un pacient fumător obține un PRS de 5, pacientul va avea

o șansă de 93% de a-și menține dinții timp de 15 ani și o șansă de 80% de a reuși același lucru pe o perioadă de 30 de ani (fig. 1).

Nivelurile HbA1c.

Autorii sugerează că, dacă pacienții nu-și cunosc scorul HbA1c, acesta poate fi apreciat ca fiind „2” până la primirea rezultatelor analizelor sanguine. Acest lucru este deosebit de important atunci când pacienții au o istorie familială de diabet sau nu au consultat un medic în ultimii 1 sau 2 ani. Astfel, utilizarea PRS poate să îi încurajeze pe pacienți să obțină scorul lor HbA1c și, dacă sunt diabetici, să fie motivați să-și controleze mai bine diabetul, ceea ce, la rândul său, va avea un impact pozitiv asupra stării lor parodontale. HbA1c poate fi testat cu ușurință la o farmacie locală.

Nivelurile HbA1c sunt evaluate după cum urmează: scor 0 = <6%; scor 1 = 6,1% până la 7%; scor 2 = 7,1% până la 8%; scor 3 = 8,1% până la 9%; scor 4 = >9%.

Tipul de molar.

Pentru punctare se va folosi molarul maxilar secund cel mai implicat sau „cel mai rău” din punct de vedere parodontal (sau molarul prim maxilar dacă molarul secund lipsește) care este planificat să fie menținut, deoarece acest dinte are cel mai mare scor din grupul molarilor (adică scor = 2) și are cel mai slab prognostic în literatura parodontală. Dacă molarii nu sunt prezenți, atunci se evaluează următorul „cel mai rău” dinte cu rădăcină unică sau implant. De exemplu, dacă se evaluează un implant dentar în locul unui molar prim maxilar, acesta ar trebui să primească un scor de 1, același scor care ar fi atribuit unui molar prim maxilar. Tipurile de molari sunt punctate astfel: scor 0 = molar mandibular;

scor 1 = molar prim maxilar; scor 2 = molar secund maxilar.

Adâncimea de sondare. Pentru acest factor se va utiliza cea mai profundă adâncime de sondare în milimetri (mm) a „celui mai rău” molar care este menținut. Evaluarea este următoarea: scor 0 = <5 mm; scor 1 = 5 mm până la 7 mm; scor 2 = >7 mm până la 10 mm; scor 3 = >10 mm.

Implicarea furcației.

Următoarele scoruri sunt atribuite în funcție de numărul de furcații prezente la molarul evaluat: scor 0 = nicio furcație afectată; scor 1 = o furcație totală (indiferent dacă este de clasa I sau clasa II); scor 2 = două furcații totale; scor 3 = trei furcații totale sau furcație T-T (through-and-through; de la un capăt la altul). Acest indice nu ia în considerare clasa sau severitatea furcațiilor, adică, clasa I, clasa II sau clasa III; folosește doar numărul de furcații asociate cu dintele molar evaluat.

Pe baza modelului Cox proporțional multivariat realizat de Miller și colab, clasificarea furcației are un efect minim asupra valorii PRS finale, deoarece crește cu doar 21% șansele ca un pacient să piardă dinți din cauza bolii parodontale. Astfel, tratamentul unui dinte molar cu furcație rămâne o opțiune viabilă pentru a menține dintele pe termen lung.

Mobilitatea.

Mobilitatea molarului care urmează să fie evaluat este apreciată după cum urmează:

scor 0 = lipsa mobilității; scor 1 = clasa I; scor 2 = clasa II; scor 3 = clasa III. Este important să se evalueze mobilitatea dintelui ca parte a examenului inițial. Mai mult, valorile mobilității pot fi modificate pozitiv prin ajustarea ocluzală.

49,5 ms

Rezoluție senzor CMOS

4x4 - 18x24 cm

Dimensiune FOV

PANO - CBCT

Ceph, Scanner modele

2,9 sec

Scanare CT fără artefacte de mișcare

10 ani garanție de la producator

< până la 70% doza de iradiere redusă

Vă oferim autorizarea completă a cabinetului de imagistică. Dosar CNCAN inclus, realizat chiar de noi, fără intermediari.

complet: intra-oral cu senzor sau scaner placuțe, echipament de radioprotecție, Dicom printer, instalare și training, măsurători, dosar. rate, direct, până la 60 de luni

0745.348.034 | mpuia@temco.ro Autorizare, Service: ing. Mihai Mureșan 0744.598.938 | mmuresan@temco.ro www.echipamentestoma.ro office@echipamentestoma.ro

SCORUL FINAL ȘI PROGNOSTICUL

Valoarea totală a PRS este suma fiecărui scor individual al celor șapte factori de prognostic. Obiectivul țintă post-tratament este un PRS de <5. Evaluarea și prognosticele variază după cum urmează: scor 1-4 = prognostic „excelent”; scor 5-7 = prognostic „bun”; scor 8 până la ≥11 = prognostic „rezervat” (fig. 1).

RAPORT DE CAZ

În 2014, un pacient de sex masculin s-a prezentat la cabinetul de parodontologie al unuia dintre autori (RAL). El a raportat că ar vrea să-și salveze dinții, dorind în același timp să evite o intervenție chirurgicală de rezecție ososă totală realizată de medicul său dentist generalist cu 7 ani în urmă, care a provocat o morbiditate postoperatorie semnificativă pentru pacient.

Dentistul pacientului recomanda un retratament în aceeași manieră, dar pacientul, extrem de nemulțumit de terapia anterioară, dorea o soluție alternativă la chirurgia parodontală convențională. După ce a cercetat alte tratamente parodontale pe internet, s-a prezentat la cabinetul de parodontologie al autorului și s-a interesat despre procedura asistată cu laser (laser-assisted new attachment procedure, LANAP®)

Pacientul avea 66 de ani (vârstă: ≥40 = scor 1) și renunțase la fumat în urmă cu 7 ani (fumat: nefumător = scor 0). Era în general sănătos, având un statut ASA (American Society of Anesthesiologists, ASA) III și o valoare HbA1c de <6% (nivelurile A1c: <6% = scor 0).

Din punct de vedere medical, pacientul prezenta hipertensiune arterială controlată cu medicamente și un istoric de accident vascular cerebral și infarct miocardic. Lua

multiple medicamente orale și prezenta MIX (xerostomie).

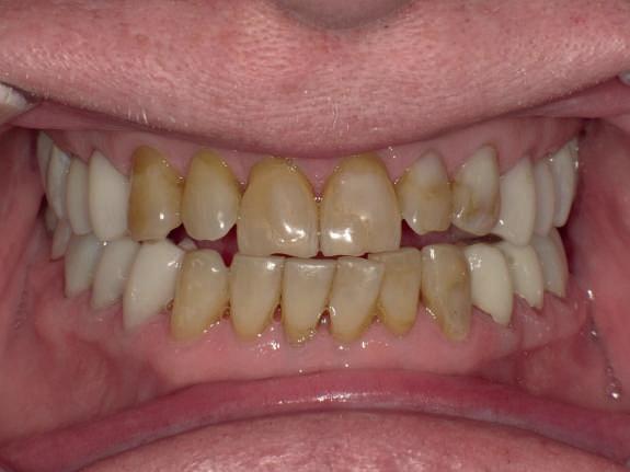
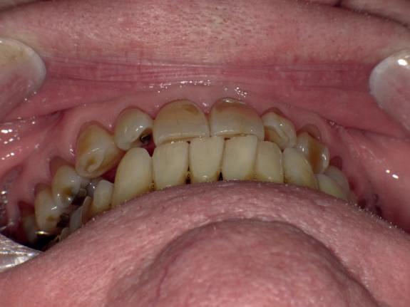
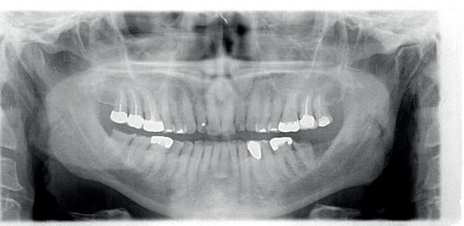
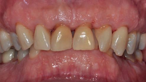
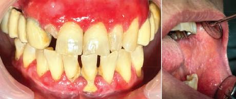
Examinarea parodontală a relevat sângerări generalizate la sondare și adâncimi de sondare de până la 9 mm la molarii maxilari și mandibulari, cu multiple furcații implicate la fiecare molar (fig. 2-7). Prezenta mobilitate multiplă de clasa I la dinții posteriori și de clasa II la dinții nr. 16 și 21 (molarul prim maxilar drept și incisivul central maxilar stâng).

Parodontologul a decis să evalueze dintele nr. 16 în privința PRS, deoarece acesta era molarul cel mai afectat parodontal care urma să fie tratat și menținut pe arcadă (fig. 2 și fig. 8). Acest dinte (molarul prim maxilar drept = scor 1) prezenta adâncimi de sondare de 7 mm (scor 1); trei invazii totale de furcație (scor 3) (mezial [furcație de grad II], vestibular [furcație de grad I] și distal [furcație de grad II]); și mobilitate de clasa II (scor 2). Valoarea totală a PRS pentru dintele 16 a fost de 8, reprezentând un prognostic „rezervat”. Pe baza acestui scor, probabilitatea de a nu pierde niciun dinte din cauza bolii parodontale timp de 15 ani a fost de 81%, iar pentru 30 de ani probabilitatea a fost de doar 56% (fig. 9).

Scorul PRS de 8 a fost discutat cu pacientul, iar planul de tratament recomandat a inclus igiena orală (pentru care a primit instrucțiuni), terapia chirurgicală LANAP® într-o singură ședință pentru întreaga cavitate orală, sub anestezie locală, cu ajustarea ocluzală full-mouth în intercuspidație maximă (maximum intercuspation, MIP) și în toate deplasările nefuncționale și în mișcările de protruzie. După ședințele postoperatorii lunare, cu lustruire full-mouth, revizuirea procedurilor de control al plăcii și recenzia „cheilor pentru succes” pentru menținerea parodontală,

pacientul a fost reevaluat la 3 luni și a început faza de menținere parodontală a tratamentului (adică, SPT) sub îngrijirea parodontologului, la fiecare trei luni, din cauza stării avansate a bolii parodontale, cu invazii multiple în furcațiile molarilor, alături de examinările restaurative anuale și radiografii bitewing la cabinetul medicului stomatolog generalist.

Parodontologul a considerat că dinții nr. 38 și 37 (molarul trei și doi stâng inferior) aveau un prognostic discutabil din cauza pierderii severe a atașamentului parodontal, a furcațiilor de clasa III și a probabilelor carii de furcație detectate pe radiografii. Acești doi dinți au fost tratați la fel ca ceilalți, pacientul fiind avizat că ar putea necesita fie un retratament parodontal, fie extracție, cu posibile recomandări de implanturi în viitor.

Pe parcursul ședințelor de întreținere parodontală ulterioare, valoarea PRS pentru dintele nr. 16 a fost redus la un scor de 5, un prognostic „bun”, cu o probabilitate de 93% de a-și păstra dinții din punct de vedere parodontal după 15 ani și o probabilitate de 80% de a obține acest lucru după 30 de ani. Scorul de implicare a furcației s-a redus, iar furcația vestibulară a dintelui nr. 16 a devenit improbabilă (scor = 1). Scorul de mobilitate a dintelui nr. 16 a fost redus cu 1 (scor = 1).

Pacientul a rămas în întreținere parodontală la fiecare 3 luni până în 2018, având o complianță excelentă. Reevaluarea scorului său PRS la fiecare ședință a consolidat rezultatele pozitive ale tratamentului și importanța complianței sale față de „cheile pentru succes”. Valoarea lui PRS pentru dintele nr. 16 a rămas stabil (scor 5).

În 2018 însă, pacientul a observat sângerări semnificativ crescute și sensibilitate, asociate cu molarii

RAPORT DE CAZ

Figurile:

2-4. Imagini înainte de tratament: lateral dreapta (fig. 2), frontal (fig. 3) și lateral stânga (fig. 4). Notă: Molarul prim maxilar drept (dintele 16) (fig. 2) ar fi identificat ca fiind molarul cel mai afectat parodontal care era planificat să fie menținut.

inferiori stângi nr. 37 și 38, pe care a decis să îi retrateze prin terapie parodontală asistată de laser. Acest retratament a reușit să elimine simptomele și a condus la stabilitate parodontală (fig. 10-13).

Pacientul a fost motivat de discuțiile continue despre scorul său PRS și prognosticul la 15 ani, fiind hotărât să mențină o complianță excelentă față de „cheile pentru succes”. Planul său de întreținere includea utilizarea unui irigator oral, a aței dentare și a soluției pe bază de hipoclorit de sodiu (NaOCl) diluat (cu un raport de diluție de o jumătate de linguriță de NaOCl la 200 ml de apă caldă), care a fost utilizat în dispozitivul său de irigație orală. După 4 ani de terapie și menținere, scorul său PRS a fost redus de la 8 la 5, astfel scăzând riscul său parodontal și demonstrând eficiența strategiei PRS.

DISCUȚII

PRS utilizează șapte factori prognostici pentru a formula un scor final. Testul este simplu de utilizat, durează puțin timp, este bazat pe dovezi, validat statistic și motivațional. Are o capacitate

predictivă superioară datorită accentului ridicat pus pe factorii sistemici (vârstă, fumat, status diabetic), aproape jumătate din scorul total bazându-se pe evaluarea acestor factori (potențial 9 puncte). Comparativ cu alți indici, PRS este singurul care include nivelurile de HbA1c.

Într-un studiu recent publicat de Saleh și colab, autorii au comparat 10 sisteme de prognostic la nivelul dinților, inclusiv PRS, pentru a anticipa pierderea dinților corelată cu parodontita. Studiul a examinat 148 de pacienți cu parodontită (3.787 de dinți), cu o perioadă de urmărire de 26,5 ± 7,4 ani. Toate cele 10 sisteme au stratificat cu precizie dinții în funcție de riscul de pierdere a dinților din cauza parodontitei (tooth loss due to periodontitis, TLP) în momentul inițial, atunci când au fost comparate diferite clase de asociere. În plus, cele mai multe clase ale tuturor sistemelor de prognostic au arătat diferențe statistic semnificative între clase; cu cât clasele erau mai severe, cu atât riscul de TLP era mai mare. Autorii au concluzionat că PRS a arătat cea mai bună discriminare și capacitate predictivă pentru TLP.

CONCLUZII

PRS este practic o fișă de scor, sau un raport de evaluare parodontală, care poate fi utilizat în practica dentară zilnică la toți pacienții. Utilizarea sa nu este limitată la pacienții cu parodontită, deoarece poate și ar trebui să fie utilizat în mod obișnuit și la cei cu parodonțiul sănătos. PRS poate ajuta clinicianul să determine un plan de tratament adecvat, pacientul înțelegând că trebuie să fie un „co-terapeut” pentru a atinge și menține obiectivul țintă al unei valori PRS <5.

PRS poate motiva pacienții să facă schimbări pozitive în stilul de viață, ceea ce va îmbunătăți scorul total și, în cele din urmă, prognosticul parodontal al întregii cavități orale.

Evaluarea PRS durează doar câteva minute în cabinet, permițând clinicianului să aibă o conversație care poate „traduce” procedurile clinice recomandate în „valoarea pacientului”. PRS împuternicește pacienții să combată parodontita și, în cele din urmă, să își păstreze dinții.

occlufast

Înregistrare ocluzală fără nicio interferență! Occlufast, alegerea perfectă.

Occlufast este o gamă extinsă de siliconi de adiție pentru înregistrarea ocluziei, special dezvoltată pentru a răspunde tuturor cerințelor din practica clinică.

Toate produsele din gamă se disting printr-o consistență imperceptibilă, stabilitate dimensională și tixotropie. Considerând noile fluxuri de lucru digitale, gama Occlufast include și un produs scanabil*.

Imperceptibil, la fel ca aerul.

*Occlufast CAD poate fi scanat de către un scanner optic (cu lumină structurată și laser) și de către CBCT, fără a fi necesară pudra de opacizare.

www.zhermack.com

Este posibil ca unele produse să nu fie disponibile în toate țările. Pentru mai multe informații privind disponibilitatea produselor, vă rugăm să contactați reprezentantul local de vânzări.

www.dentotal.ro

Str. Splaiul Independenței nr. 319L, clădirea Bruxelles, Intr. A, etaj 1, sector 6, București T: +40 371 700 430 E-mail: comenzi@dentotal.ro

FREE GlutenLactose

Aparat detar traj și profil a xie PT-B

Conceput cu două zone de lucru, air flow și detar traj ultrasonic, îndeplinește cu eficiență ma ximă cinci funcții: air flow, tratament parodontal , endodontic, restaurare și întreținere a impl anturilor Utilizarea optimă este susținută de posibilitatea de a monitoriza frecvența vibrațiilor și regl area automată a funcțiilor.

Fiziodispenser Impl ant-X LED

Sistem precis recomandat pentru procedurile de inserare a impl anturilor dentare, ce permite prestabilirea parametrilor pentru diferite tipuri de proceduri Calitatea remarcabil ă este susținută de micromotorul fabricat în Elveția, ce oferă un cuplu 6,2Ncm și putere ma ximă 80Ncm. Iluminarea LED, al ături de piesa contraunghi demare precizie, asigură o vizibilitate sporită și permiteaccesul sigur l a orice viteză de lucru.

Laser dentar DTE D-Laser Blue

Dispozitiv inovativ cu 3 lungimi de undă: 450nm, 650nm, 976nm, recomandat pentru tratamente l a nivelul țesuturilor moi Laserul

DTE D-Laser Blue are aplicare în multiple cazuri clinice specifice din stomatologie: chirurgie, endodonție, parodontologie, terapie l aser, estetică dentară. Oferă setări prestabilite pentru proceduri rapide, dar și posibilitatea de a personaliza moduri de lucru preferate.

Figurile:

5, 6. Imagini ocluzale înainte de tratament: maxilar (fig. 5) și mandibulă (fig. 6).

7. Rx periapicale înainte de tratament.

8. Rx periapicală a molarului prim maxilar drept (identificat ca fiind molarul cel mai afectat parodontal care era planificat să fie menținut pe arcadă).

9. Valorile PRS din 2014 (la prezentarea pacientului) și la ședințele de întreținere ulterioare în 2015, 2017 și 2018. Pacientul a trecut de la un scor inițial total de 8 („prognostic

rezervat”) la un scor total de 5 („prognostic bun”) și a reușit să-l mențină.

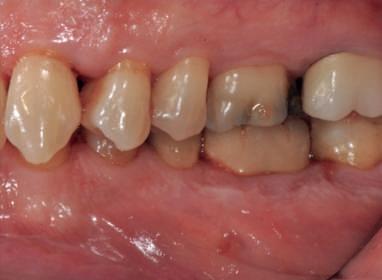
10, 11, 12. Imagini clinice la 4 ani după tratament: lateral dreapta (fig. 10), frontal (fig. 11) și lateral stânga (fig. 12). A existat o reducere semnificativă a PD, BOP și a mobilității.

13. Rx periapicale la 4 ani după tratament. Se observă absența pierderii osoase progresive în comparație cu fig. 7, adică, fără semne de boală parodontală activă.

Chestionar

TRADUCEREA REZULTATELOR

CLINICE PRIN UTILIZAREA

SCORULUI DE RISC

PARODONTAL: O ABORDARE

TERAPEUTICĂ BAZATĂ PE

DOVEZI

1. Pentru ca un indice de prognostic parodontal să fie

utilizat clinic în mod obișnuit, acesta trebuie să:

a) demonstreze conexiunile orale-sistemice

b) fie utilizat doar la pacienții afectați parodontal

c) fie utilizat rapid și cu acuratețe în cabinet

d) permită pacienților să își stabilească propriul program de întreținere prin igiena orală

2. Obiectivul țintit al scorului de risc parodontal (PRS) este valoarea de:

a) 0 b) <5

c) 5 d) >8

3. Unul dintre obiectivele PRS este de a încuraja pacienții să facă unele schimbări în stilul lor de viață pentru a-și îmbunătăți sănătatea parodontală și sistemică, incluzând:

a) renunțarea la fumat

b) somnul adecvat

c) exercițiile fizice mai frecvente

d) vizitele mai frecvente la medicul stomatolog

4. Care dintre cele de mai jos fac parte din “cheile succesului” revendicate de PRS?

a) periajul dentar, igienizarea interdentară și a limbii în fiecare zi

b) utilizarea întotdeauna a unui irigator oral după periaj

c) menținerea unui program de întreținere orală la 3 luni

d) asigurarea faptului că laserul se folosește în tratamentul parodontal

5. Cele mai multe bacterii care rămân după periaj și igienizarea interdentară se află:

a) pe suprafața ocluzală a molarilor maxilari

b) pe suprafața orală a dinților mandibulari frontali

c) pe vârful limbii

d) pe treimea posterioară a suprafeței dorsale a limbii

6. În cadrul sistemului PRS, autorii sugerează

punctarea molarului cel mai implicat parodontal care

este planificat pentru:

a) extracție

b) menținere

c) înlocuire cu un implant d) tratament endodontic

7. Scorul PRS se referă:

a) doar la dintele evaluat

b) la întreaga cavitate orală

c) la unul dintre arcadele dentare

d) doar la dinții posteriori

8. Cei șapte factori ai pacientului care fac parte din evaluarea scorului PRS includ:

a) recesia gingivală

b) implicarea endodontică

c) istoricul de boală de reflux gastro-esofagian

d) nivelurile HbA1c

9. În cazul prezentat, de-a lungul timpului scorul

PRS pentru dintele 16 s-a redus la o valoare de 5, însemnând că prezenta:

a) o probabilitate de 80% de a-și prezerva dinții după 15 ani

b) o probabilitate de 93% de a-și prezerva dinți după 15 ani

c) o probabilitate de 56% de a-și prezerva dinți după 30 de ani

d) o probabilitate de 93% de a-și prezerva dintele 16 după 30 de ani

10. PRS se poate utiliza în activitatea clinică zilnică:

a) în primul rând la pacienții edentați

b) la toți pacienții

c) dar se limitează doar la pacienții cu parodontită

d) doar la pacienții cu parodonțiul sănătos

Biofilm Management Technology: Air Polishing a Safe, Effective Modality by Michelle Strange, MSDH, RDH. Originally published in Compendium of Continuing Education in Dentistry 44(5) May 2023. © 2023 AEGIS Publications, LLC. All rights reserved. Reprinted with permission of the publishers.

Tehnologia de gestionare a biofilmului: lustruirea cu aeropropulsie, o modalitate sigură și eficientă

PREVENTION / HYGIENE

Despre autor:

Michelle Strange, MSDH, RDH Owner, Level Up Infection Prevention (levelupip.com) and MichelleStrangeRDH (michellestrangerdh.com)

Biofilmele sunt comunități complexe de microorganisme care aderă unele la altele. Ele prosperă și se înmulțesc în toate tipurile de medii acvatice naturale. În stomatologie, biofilmele sunt considerate un factor etiologic pentru o gamă largă de afecțiuni orale, inclusiv carii dentare, boli parodontale și infecții asociate implanturilor. Această afirmație se bazează pe faptul că în cavitatea orală și biofilmul polimicrobian sunt găzduite numeroase specii microbiene, inclusiv microorganisme sănătoase și altele cu potențial patogen.

Datorită aderenței lor și capacității de a se multiplica pe suprafețe, biofilmele sunt extrem de rezistente atât la sistemul de apărare al gazdei, cât și la antimicrobienii tradiționali. Ca urmare,

studiul și înțelegerea biofilmului și a tehnologiei de gestionare a acestuia au avansat considerabil, cu metode noi pentru a combate formarea și acumularea biofilmelor bacteriene pe dinți și suprafețe orale. De-a lungul anilor, progresele semnificative au îmbunătățit considerabil prevenirea și tratamentul bolilor orale cauzate de biofilme.

ISTORIA PROCEDURILOR CU ULTRASUNETE ȘI AERO-ABRAZIUNE

În stomatologie, detartrajul și planarea radiculară (scaling and root planing, SRP) sunt acceptate universal ca fiind „standardul de aur” pentru tratamentul parodontal. Procedura implică două etape: îndepărtarea plăcii, tartrului și biofilmului bacterian de pe suprafețele dinților și www.dentalnews.ro

Ankylos® Desigur.

Dacă vrei un sistem de implanturi care să se potrivească fluxului tău de lucru preferat, digital sau convențional - și să îți lase abilitățile profesionale să strălucească puternic - alegerea este ușoară: Ankylos. Desigur.

PREVENTION / HYGIENE

rădăcinilor, urmată de netezirea și decontaminarea suprafețelor radiculare. Metodele disponibile în prezent pentru îndepărtarea biofilmului supra- și subgingival includ utilizarea instrumentelor manuale, cum ar fi detartrajul manual, sonic și ultrasonic, precum și procedurile cu aero-abraziune.

Primele dispozitive de detartraj cu ultrasunete, introduse în anii 1950, utilizau tehnologia magnetostrictivă, care producea vibrații de înaltă frecvență, determinând mișcarea vârfului instrumentului într-un tipar eliptic. În anii 1980, au fost introduse dispozitivele ultrasonice piezoelectrice, care utilizau un cristal ceramic pentru a produce vibrații ultrasonice. Apariția vârfurilor ultrasonice mai subțiri, asemănătoare unei sonde, a facilitat îndepărtarea eficientă a biofilmului suprași subgingival. Oferind o mai mare precizie și control, această tehnologie a fost adoptată pe scară largă în cabinetele dentare din întreaga lume.

Procedura de lustruire cu aero-abraziune a apărut în anii 1970 ca o metodă de îndepărtare a petelor de pe suprafața dinților. Dispozitivele timpurii de lustruire cu aer utilizau pulbere de bicarbonat de sodiu, care putea provoca deteriorarea smalțului dentar și a țesuturilor moi dacă nu erau utilizate cu grijă. În anii 1990, dispozitivele de lustruire cu aer mai noi, care foloseau pulberi mai puțin abrazive, cum ar fi glicina sau eritritolul, au devenit mai populare, reducând riscul de deteriorare și îmbunătățind confortul general al pacientului.

Detartrajul ultrasonic și lustruirea cu aero-abraziune au devenit în timp tot mai sofisticate. De exemplu, dispozitivele ultrasoni-

ce mai noi pot îndepărta selectiv tartrul, păstrând în același timp structura sănătoasă a dintelui și eliminând necesitatea procedurilor mai invazive. Dispozitivele de lustruire cu aer au devenit, de asemenea, mai precise și mai eficiente, având capacitatea de a îndepărta biofilmele și petele de suprafață, minimizând în același timp deteriorarea țesuturilor înconjurătoare.

EFICACITATEA PULBERII

AEROPROPULSATE

ÎN GESTIONAREA

BIOFILMULUI

În ultimii ani, a avut loc o trecere către dispozitivele de lustruire cu aer ca o alternativă atractivă la detartrajul manual și ultrasonic tradițional. Aerul comprimat, care conține apă și particule de pulbere abrazivă precum glicina, trehaloza, eritritolul și bicarbonatul de sodiu, este pulverizat pe suprafața dintelui folosind un dispozitiv de lustruire cu aer, îndepărtând biofilmul într-un timp mai scurt și îmbunătățind confortul pacientului. Caracteristicile lustruirii cu aer includ următoarele:

Mecanism de acțiune: Jetul de aer de înaltă presiune, care combină aerul comprimat, apa și pulberile cu grad scăzut de abraziune pentru a îndepărta biofilmul, ajută la descompunerea și dislocarea biofilmului de pe suprafața dintelui. Apa ajută la spălarea fragmentelor dislocate, în timp ce particulele fine de pulbere fricționează fizic resturile rămase. Acest mecanism de acțiune face ca pulberea de aer să fie extrem de eficientă în îndepărtarea biofilmului.

Accesibilitate: Pulberea de aer poate ajunge în zone greu accesibile cu metodele tradiționale

de debridare, cum ar fi detartrajul manual. Particulele fine de pulbere pătrund adânc în fisurile și canelurile dinților și gingiilor, îndepărtând biofilmul din zonele dificil de accesat.

Viteză: Această modalitate este eficientă și se finalizează în câteva minute, fiind mult mai rapidă decât metodele tradiționale de debridare.

Confort: Fiind o metodă blândă și non-invazivă de îndepărtare a biofilmului, lustruirea cu aer nu provoacă, de obicei, disconfort sau durere. De asemenea, viteza de finalizare face ca experiența să fie mult mai confortabilă pentru pacienți.

PULBERI MAI PUȚIN ABRAZIVE: GLICINA ȘI ERITRITOLUL

Pulberile sunt o componentă esențială a procedurii de lustruire cu aer, iar bicarbonatul de sodiu a fost utilizat încă din anii 1980. În prezent, sunt disponibile multe tipuri de pulberi, inclusiv opțiuni mai puțin abrazive pentru îndepărtarea biofilmului subgingival, cu o abraziune minimă a suprafețelor orale. Prin comparație, pulberile tradiționale, precum bicarbonatul de sodiu, bicarbonatul de calciu și trihidroxidul de aluminiu, pot avea dimensiuni ale particulelor de până la 250 microni. Pulberile mai noi, cum ar fi glicina, sunt compuse din particule semnificativ mai mici, cu dimensiuni între 25 și 65 microni, iar eritritolul are o dimensiune de 14 microni. În ceea ce privește abraziunea, pulberile tradiționale se situează între 2,5 și 4 pe scara de duritate Mohs, în timp ce glicina și eritritolul măsoară valoarea 2. Datorită acestor caracteristici,

#whdentalwerk

wh.com/ro_romania

EliSafe Pachet Trasabilitate

de sterilizare și fișa pacientului, cu ajutorul imprimantei de etichete și al cititorului de coduri de bare.

*O piesă de mână Synea Fusion la alegere + încă 1 AN de garanție GRATUIT,

este posibilă o gamă mai largă de aplicații cu aparatele de lustruire cu aer, cum ar fi îndepărtarea mai sigură a biofilmului suprași subgingival și capacitatea de a penetra mai adânc în pungile parodontale sau în zonele de bifurcație.

Glicina, un aminoacid neesențial, a fost introdusă pe piața dentară în 2003. Cristalele sale sunt inodore, incolore și foarte solubile în apă. Pulberea de glicină este potrivită pentru aplicații supragingivale, dar principalul său domeniu de aplicare este curățarea suprafețelor radiculare, unde poate îndepărta placa fără a deteriora cementul sau dentina.

Cercetările arată că pulberea de glicină este cu 80% mai puțin abrazivă decât bicarbonatul de sodiu și provoacă mai puține traume țesutului gingival decât instrumentele manuale sau lustruirea cu aer utilizând bicarbonat de sodiu. Pulberea de glicină s-a dovedit a fi mai eficientă decât instrumentele manuale în îndepărtarea plăcii subgingivale în zonele parodontale cu adâncimi de sondare de 3 mm până la 5 mm. Totuși, nu s-a detectat nicio diferență în comparație cu detartrajul ultrasonic. Glicina are un gust ușor dulce, care nu provoacă nicio neplăcere pacienților în timpul procedurii.

Eritritolul este o pulbere mai fină decât glicina, utilă pentru aplicații subgingivale. Un studiu a comparat eficacitatea eritritolului cu alte pulberi utilizate pentru lustruirea cu aer și a constatat că aceasta are cea mai mică abrazivitate, dar este totuși eficientă în îndepărtarea plăcii și a petelor. Activitatea antimicrobiană și antibiofilm a eritritolului este mai mare decât

cea a glicinei. În plus, eritritolul a demonstrat efecte inhibitoare asupra Streptococcus gordonii și Porphyromonas gingivalis De aemenea, eritritolul a arătat capacitatea de a suprima refacerea biofilmului, în timp ce îmbunătățește atașarea celulară, viabilitatea celulară și proliferarea osteoblastelor.

TIPURI DE DISPOZITIVE:

PORTABILE SAU

STAȚIONARE

Aparatele de lustruire cu aer sunt disponibile în două forme: dispozitive mai mici, portabile, cu un compartiment de pulbere conectat direct la unitatea dentară, sau unități staționare cu o piesă de mână. Pentru unitățile care utilizează pulberile de glicină și eritritol, două tipuri de duze sunt incluse cu piesele de mână: una pentru îndepărtarea biofilmului supragingival și una pentru îndepărtarea biofilmului subgingival.

Aparatele portabile de lustruire cu aer sunt ușoare, compacte și portabile, ceea ce le face ușor de manevrat și utilizat în zonele greu accesibile ale cavității orale. De asemenea, sunt relativ ieftine în comparație cu unitățile staționare. Deși favorabile pentru cabinetele mai mici cu mai puțini pacienți, dispozitivele portabile pot fi mai puțin puternice sau nepotrivite pentru utilizarea intensivă în clinicile dentare aglomerate.

Unitățile staționare de lustruire cu aer sunt, de obicei, mai mari și sunt bine adaptate pentru cabinetele dentare mari și aglomerate. De asemenea, sunt în general mai puternice, mai durabile și mai rezistente decât dispozitivele portabile, care pot necesita înlocuire mai frecventă. Cu toate

acestea, unitățile staționare pot fi costisitoare și ocupă mai mult spațiu într-o clinică dentară, ceea ce poate fi nepractic pentru cabinetele mai mici.

BENEFICII PENTRU CLINICIAN ȘI PACIENT

Scalerele manuale și ultrasonice s-au dovedit a fi consumatoare de timp și tehnic exigente și sunt concepute pentru depunerile dure, nu neapărat pentru depunerile moi, cum ar fi biofilmul. Deși un scaler ultrasonic funcționează bine pentru îndepărtarea biofilmului, acesta este utilizat doar pe țesutul dur, spre deosebire de procedurile cu aeropropulsie care pot fi aplicate atât pe țesutul dur, cât și pe cel moale. În plus, utilizarea repetată a scalerelor ultrasonice poate cauza deteriorarea suprafeței radiculare. Hipersensibilitatea cauzată de pierderea țesutului dur în timpul detartrajului suprafeței dentare este un alt efect secundar comun al acestor proceduri, care poate apărea atât în timpul, cât și după tratament.

Atunci când este utilizată cu tehnica și pulberile corecte, lustruirea cu aer este o metodă sigură și eficientă de gestionare a biofilmului. Este mai puțin agresivă decât metodele tradiționale, poate permite ședințe cu durate mai scurte și oferă pacienților o experiență mai confortabilă. Folosirea acestei tehnici a fost asociată cu o mai bună acceptare din partea pacienților, conducând la o mai bună conformitate pe termen lung și îmbunătățind rezultatele generale. Având în vedere numeroasele sale avantaje, este interesant să observăm cercetările continue și inovațiile clinice în domeniul lustruirii cu aer, care transformă rezultatele tratamentului pacienților.

Descoperă NOUL Scanner Intraoral Trios 5!

Tehnologie de scanare inteligentă special concepută pentru o igienă îmbunătățită, ergonomie de nivel superior și scanare fără efort. Trios 5 stabilește un nou standard în protecția pacienților și controlul infecțiilor.

Această nouă versiune de scanner, Trios 5, este cu 30% mai mic, 20% mai ușor comparativ cu Trios 4.

Scannerul este calibrat, ceea ce înseamnă că nu trebuie recalibrat după un anumit număr de scanări. Este întotdeauna gata de utilizare!

Management inteligent al bateriei - Când ești în mijlocul unei zile pline, cu siguranță vrei optimizată.

Motorul ScanAssist oferă

Pentru mai multe detalii: 0371700 430 | office@dentotal.ro

www.dentotal.ro | Splaiul Independenței, Nr. 319L, Clădirea Bruxelles, Intrarea A, Et. 1, București, Sector 6

Pentru detalii scanează codul QR

Guided Biofilm Therapy for Management of “Desquamative Gingivitis” - Clinical Cases by Blagovesta Yaneva, Maria Mutafchieva, Petar Shentov And Georgi Tomov. Originally published in Clin. Pract. 2024, 14, 1931–1939. https://doi.org/10.3390/clinpract14050153 Academic Editors: Federica Di Spirito and Francesco D’Ambrosio

GBT în gestionarea gingivitei descuamative

⊲ GUIDED BIOFILM THERAPY, CLINICAL CASES

Despre autori:

Blagovesta Yaneva, Maria Mutafchieva, Petar Shentov Department of Periodontology and Oral Mucosa Diseases, Faculty of Dental Medicine, Medical University of Plovdiv, 4000 Plovdiv, Bulgaria

Georgi Tomov Department of Health Care and Social Work, New Bulgarian University, 1618 Sofia, Bulgaria

Universitatea de Medicină din Plovdiv. a finanțat acest studiu care a fost realizat în conformitate cu Declarația de la Helsinki. Consimțământul informat a fost obținut de la toți subiecții implicați în studiu. Datele prezentate în acest studiu sunt disponibile la cerere de la autorul respectiv. Autorii nu declară conflicte de interese.

Gingivita descuamativă (desquamative gingivitis, DG) este un termen clinic folosit pentru a descrie manifestarea locală a unor afecțiuni cutaneo-mucoase la nivelul gingiilor. Se caracterizează prin culoare roșie, este dureroasă, friabilă, și are aspect lucios. În majoritatea cazurilor, DG este cauzată de tulburări autoimune, în special lichen plan, pemfigoid și pemfigus. Cu toate acestea, alte condiții precum stomatita ulcerativă cronică, eritemul multiform, lupusul eritematos, psoriazis, Boala IgA, boala Crohn, reacții alergice la pasta de dinți/ape de gură (gingivită cu celule plasmatice), etc. se pot prezenta clinic și ca DG.

DG nu este un diagnostic în sine. Cea mai recentă schemă de clasificare a bolilor parodontale și periimplantare, clasifică DG ca leziune gingivală indusă, fără placă, cauzată de afecțiuni inflamatorii și de imunitate [2]. Este extrem de important ca medicul să poată diferenția DG de gingivita clasică indusă de placă. DG nu este cauzată de inflamație și nu prezintă unele dintre semnele tipice ale gingivitei, cum ar fi inflamația

sau sângerarea. Aspectul roșu al gingiilor în DG este generat de atrofia epiteliului, cu sau fără descuamare sau eroziune concomitentă. În plus, modificările implică de obicei gingia fixă, dar nu și gingia liberă (marginea gingivală și papilele interdentare). Gingivita indusă de placă atinge un maxim în jurul pubertății, în timp ce gingivita descuamativă apare de obicei la femeile de vârstă mijlocie sau în vârstă. Spre deosebire de gingivita indusă de placă, DG este extrem de dureroasă. Pacienții evită folosirea aței dentare și a periajului, ceea ce are ca rezultat depunerea de placă și tartru și duce la gingivită secundară indusă de placă cu suprapunerea simptomelor. Astfel, igiena orală profesională la pacienții cu DG este extrem de importantă și contribuie la ameliorarea bolii.

MMP (mucous membrane pemphigoid, MMP) este o boală autoimună cu prezența veziculelor, care afectează predominant membranele mucoase, inclusiv pe cele orale, laringiene, esofagiene și oculare. Pielea este foarte rar afectată. Anticorpii sunt produși împotriva anumitor antigeni țintă din membrana bazală, ducând la desprinderea epiteliului de lamina subiacentă proprie. Manifestarea clinică a acestor modificări histologice este formarea veziculelor subepiteliale. Femeile în vârstă sunt cel mai frecvent afectate. Intra-oral, expresia cea mai frecventă a MMP este DG. Pe lângă aspectul clinic descris, zonele de eroziune, parțial acoperite de veziculele sparte, ar putea fi observate și pe gingie. Ocazional, alte zone precum mucoasa bucală, palatul și limba ar putea fi afectate, prezentând bule pline de sânge sau eroziuni neregulate acoperite cu fibrină. Durerea gingivală îi determina pe pacienți să caute în mod repetat ajutor stomatologic

Figura: 1. Aparat de ultrasunete și lustruire.

până la stabilirea unui diagnostic corect. Examenul histologic și imunofluorescența directă (DIF) pentru a detecta depozite liniare de IgG și C3 la zona membranei bazale confirmă diagnosticul de MMP. Apoi, consultul unui oftalmolog este extrem de important, chiar și în absența semnelor oculare.

Leziunile orale ale MMP sunt cronice și de obicei rezistente. Ca și la majoritatea bolilor autoimune, primul tratament recomandat este cu corticosteroizi topici. În cazurile de DG, medicația se aplică într-o gutieră personalizată pentru a prelungi timpul de contact cu țesutul. Controlul plăcii și curățarea profesională constantă ameliorează simptomele.

Pemfigusul vulgar (pemphigus vulgaris, PV) este o altă boală autoimună, caracterizată prin formarea de vezicule pe piele și mucoasă. Este o afecțiune gravă, potențial letală, în care anticorpii sunt direcționați împotriva desmozomilor epiteliali și provoacă acantoliză, rezultând în formarea de vezicule. Cauza acestei agresiuni imune este încă necunoscută, dar se presupune că sunt implicați factori precum viruși, medicamente etc. Femeile de vârstă mijlocie sunt predominant afectate. Manifestările orale sunt prezente la jumătate dintre pacienți și adesea preced leziunile pielii. Veziculele cu conținut seros clar, sunt tipice pentru PV dar au o durată scurtă. Formate în grosimea epiteliului, veziculele sunt subțiri și se sparg aproape imediat, lăsând eroziuni dureroase de un roșu aprins. Leziunile sunt multiple și pot fi găsite oriunde în cavitatea bucală. O presiune ușoară asupra gingiei duce la separarea epiteliului (semn Nikolsky pozitiv). Activități normale, cum ar fi consumul de alimente și băuturi și menținerea igienei bucale, sunt extrem de dureroase pentru pacient. Diagnosticul în timp util al PV este important, deoarece afecțiunea are un potențial grav și o progresie rapi-

dă. Separarea celulelor epiteliale cu formarea de fisuri în stratul de celule spinoase, celulele Tzanck acantolitice și infiltratul inflamator ușor, sunt printre constatările histologice tipice ale bolii. DIF este standardul de aur în diagnostic, demonstrând depozite intercelulare de IgG și C3 într-un model de plasă specific. DIF în PV este pozitivă și de obicei titrul de anticorpi corespunde severității bolii [1]. Corticosteroizi sistemici sunt indicați pentru a preveni răspândirea și agravarea bolii.

Lichenul plan (oral lichen planus, OLP) este o boală mucocutanată relativ frecventă care afectează des mucoasa bucală. În ciuda faptului că are o etiologie necunoscută, stresul emoțional și anxietatea sunt printre declanșatorii menționați ai bolii. În ceea ce privește patogeneza, OLP este o afecțiune mediată imunologic în care CD8+ T-Ly auto-citotoxic distruge celulele bazale ale epiteliului oral. Femeile aflate în deceniile cinci și șase de viață sunt cel mai frecvent afectate. Lichenul plan oral se poate prezenta în șase forme clinice diferite: reticular, papular, asemănător plăcii, atrofic, bulos și eroziv. Cu toate acestea, liniile albe keratozice cu un model de dantelă (Wickham striae) sunt un semn patognomonic al bolii. Alte semne caracteristice sunt implicarea mai multor zone și distribuția bilaterală, simetrică a leziunilor. Locurile de predilecție sunt mucoasa bucală, urmată de limbă și gingie. OLP este caracterizat printr-o evoluție cronică cu perioade alternante de exacerbare și remisie. În 2005, OMS a clasificat OLP ca o boală orală potențial malignă (oral potentially malignant disorder, OPMD). Bazat pe dovezile clinice și științifice din cei 20 ani de cercetare, potențialul malign al bolii a fost confirmat din nou în ultimul raport privind nomenclatura și clasificarea OPMD-urilor în 2021 [6]. Examenul histologic al unui infiltrat subepitelial, dens, asemănător unei benzi de

limfocite cu degenerare lichefactivă de celule bazale (hidropică) este necesar pentru a confirma diagnosticul de OLP și a exclude displazia. Aproximativ 10% dintre pacienții cu lichen plan oral au leziuni limitate doar la gingie. Acestea pot apărea fie ca leziuni albe keratozice sub formă de linii, papule sau plăci mai omogene; zone de eroziune și eventual striuri albe la periferie; și, rar, vezicule sau bule. Doar forma atrofică a OLP se manifestă clinic ca DG clasică cu eritem difuz ca rezultat al subțierii epiteliului. Pacienții acuză dureri persistente gingivale, care se agravează la contactul cu alimente condimentate și atunci când se realizează igiena orală.

Îndepărtarea profesională convențională mecanică a plăcii folosind dispozitive cu ultrasunete în combinație cu perii de lustruit și pastă poate provoca un disconfort mare acestor pacienți din cauza atingerii accidentale a leziunilor. Prin urmare, sunt necesare modalități de tratament mai confortabile.

Guided Biofilm Therapy (GBT) este o nouă abordare terapeutică ce are ca scop o îndepărtare profesională mai blândă a plăcii bacteriene și a tartrului. Evidențierea plăcii înainte de igiena orală profesională facilitează tratamentul și ajută la motivarea pacientului să adopte un regim personal mai bun de igienă orală. Pudra folosită pentru GBT este de eritritol - o pulbere albă, cristalină, cu gust dulce și particule mult mai mici (14 μm) în comparație cu cea mai utilizată pulbere de lustruit cu aer - bicarbonatul de sodiu (40–200 μm). Eritritolul este o pulbere mai puțin abrazivă, ce oferă siguranță în timpul folosirii pe smalț, dentină și cement și poate fi folosită și subgingival. O altă pulbere cu eficacitate comparabilă este pulberea cu glicină care a fost testată pe țesutul gingival, demonstrând mai puțină invazivitate și traume tisulare în comparație

Figura: 2-4. Caz clinic MMP: aspectul la prezentare (fig. 2); evidențierea plăcii bacteriene (fig. 3); aspect imediat după GBT (fig. 4).

cu bicarbonatul de sodiu. Deși nu există studii care să demonstreze acțiunea eritritolului pe țesuturile gingivale, presupunem că ar fi mai blând în comparație cu metodele convenționale de lustruire cu perii și paste sau cu bicarbonat de sodiu. Mai mult, utilizarea eritritolului s-a raportat că oferă un confort mai mare pacienților în timpul terapiei parodontale inițiale și de susținere.

MATERIALE ȘI METODE

Sunt prezentate trei cazuri clinice de DG cu etiologie diferită, tratate prin Guided Biofilm Therapy cu respectarea protocolului descris în continuare. Evidențierea plăcii bacteriene a fost realizată cu Biofilm discloser® (EMS, Nyon, Elveția) pentru a colora placa bacteriană în două culoriroșiatic pentru placa nou formată și albastru pentru placa matură. Îndepărtarea mecanică profesională a plăcii cu AIRFLOW® Prophylaxis Master (EMS, Nyon, Elveția) în doi pași (fig. 1). Mai întâi, placa evidențiată a fost îndepărtată cu pudra EMS AIRFLOW® PLUS pe bază de eritritol. După aceea, depunerile de tartru supra- și subgingival au fost îndepărtate cu o piesă de mână pentru detartraj cu ultrasunete PIEZON® cu instrumentul PS și o frecvență joasă de 25 kHz. Tratamentul se realizează cu o temperatură a apei reglată la 40°C și activată de o pedală fără fir.

După finalizarea instrumentării pacienților, toleranța la procedură a fost evaluată folosind o scală vizuală analogică (VAS), unde 0 a fost fără durere și disconfort și 10 a reprezentat cel mai mare disconfort posibil în timpul instrumentării.

CAZUL (1)

O pacientă de 72 ani cu antecedente de MMP s-a prezentat pentru igienizare de rutină (fig. 2). Diagnosticul de MMP cu DG a fost pus în urmă cu trei ani, timp în care a urmat igienizare profesională la fiecare 6 luni, acuzând întotdeauna dureri severe și exacerbarea afecțiunii cu formare de noi leziuni. La evidențierea plăcii bacteriene, a fost înregistrat un scor de placă 100% (fig. 3). Scorul de sângerare totală orală nu a fost măsurat din cauza durerii gingivale severe. A fost aplicat protocolul GBT, inclusiv lustruirea dinților cu pudra pe bază de eritritol și ultrasunete. Terapia a fost eficientă (fig. 4), cu disconfort minim tradus printr-un scor de 1 conform VAS utilizate. La controlul efectuat după 3 zile, nu au fost detectate leziuni noi.

CAZUL (2)

Un pacient de 67 ani s-a prezentat acuzând dureri severe la consumul de alimente și băuturi, halenă și dificultate în realizarea igienei orale. Pacientul prezenta eroziuni neregulate de culoare roșu aprins pe gingie și palat. O presiune ușoară asupra gin-

giei a dus la separarea epiteliului (fig. 5). Rezultatele examenului histologic și DIF au confirmat diagnosticul de PV. Pacientul a fost îndrumat către un dermatolog care a preluat gestionarea afecțiunii. Cu toate acestea, după primul consult, a fost planificată și îndepărtarea mecanică profesională a plăcii bacteriene. FMPS (full mouth plaque score) a fost 100% din cauza dificultății de igienă orală personală. FMBS (full mouth bleeding score) nu a fost testat din cauza durerii gingivale severe. S-a aplicat protocolul GBT (fig. 6). Terapia a fost eficientă în controlul plăcii bacteriene (fig. 7), iar pacientul a raportat mult mai mult confort în comparație cu procedura convențională pe care o urma înainte (VAS—0).

CAZUL (3)

O femeie de 56 ani s-a prezentat acuzând durere gingivală și incapacitatea de a menține o igienă orală adecvată. Examenul clinic a evidențiat zone atrofice roșii, extinse pe gingia fixă a maxilarului și mandibulei, cu cantități excesive de placă și tartru, însoțite de papile interdentare inflamate. În plus, striații albe ușor reliefate s-au obiectivat pe mucoasa bucală bilateral (Wickham striae) (fig. 8) ceea ce a sugerat diagnosticul clinic de OLP. Interesant a fost că pacienta nu observase aceste leziuni ale mucoasei până atunci, fiind demonstrată din nou importanța unui examen anual realizat de un specialist în patologie orală pentru

prevenirea cancerului bucal, OLP fiind o afecțiune pre-canceroasă. A fost efectuată o biopsie incizională cu laserul Er:YAG, iar diagnosticul a fost confirmat histologic. Ca prim tratament s-a prescris propionat de Clobetasol 0,05% - gel adeziv timp de o săptămână, pentru ameliorarea ușoară a simptomelor cu scopul de a permite realizarea instrumentării parodontale și amprentarea pentru gutiere personalizate pentru tratamentul țintit cu corticosteroizi. Îndepărtarea plăcii și a tartrului a fost efectuată cu protocolul GBT (fig. 9). Procedura nu a provocat sângerări extreme sau microeroziuni gingivale, pacienta raportând un scor 0 VAS (fig. 10).

DISCUȚII

DG este o afecțiune parodontală particulară, specifică, neindusă de placa bacteriană, care necesită adesea cooperare de specialitate pentru tratament. Scopul terapiei este scăderea sau încetarea progresiei bolii și îmbunătățirea calității vieții pacientului. Deoarece autoimunitatea este implicată în etiologia DG, corticosteroizii sunt considerați standardul terapeutic de aur. Ar trebui să se acorde prioritate agenților topici. Cu toate acestea, în cazuri severe, sunt indicate medicamentele sistemice [3]. Este important de menționat că reacția imunologică care apare la nivel muco-cutanat nu determină pierderea clinică a atașamentului

și parodontită [1]. Cu toate acestea, simptomele asociate cu astfel de leziuni împiedică menținerea corectă a igienei orale de către pacienți și astfel îi poate predispune la apariția bolii parodontale de lungă durată.

Formarea plăcii bacteriene și a depozitelor de tartru inițiază inflamația gingivală. Cu toate acestea, etiologia parodontitei este mult mai complexă și multifactorială, influențată prin modificări ecologice disbiotice, tipul de răspuns imuno-inflamator al gazdei, factori genetici, boli sistemice, fumat, etc. O revizuire sistematică și o meta-analiză realizată de Sanadi R.M. și colab. a analizat asocierea dintre boala parodontală și OLP, relevând că printre parametrii parodontali studiați, sângerarea la sondare și adâncimea de sondare au fost asociate semnificativ cu OLP. Pe de altă parte, acumularea de placă duce la inflamație secundară care poate exacerba leziunea lichenoidă. În 2021, o altă analiză sistematică a testat efectul controlului plăcii asupra OLP cu manifestări gingivale și a concluzionat că igiena orală a fost asociată cu îmbunătățiri ale stării clinice a bolii (indicele Escudier) și ale calității vieții pacientului (Oral Health Impact Profile-14), subliniind astfel importanța debridării profesionale.

Spre deosebire de gingivita indusă de placă, DG este legată de o durere moderată până la severă. Mai mult, tipic lichenului plan este așa-nu-

5-7. Caz clinic PV

mitul fenomen Koebner - apariția unor noi leziuni pe regiuni neafectate anterior, secundar unui traumatism. Astfel, ar putea fi speculat că instrumentarea convențională mecanică provoacă nu numai durere, ci poate genera exacerbare și formarea de noi leziuni. De aceea, devine extrem de important pentru medic să aleagă metoda cea mai nedureroasă și atraumatică posibilă pentru debridarea profesională.

Întreținerea parodontală constantă este parte integrantă a tratamentului pacienților cu DG și trebuie să fie minim invazivă pentru a nu provoca complicații suplimentare la nivelul mucoasei bucale. S-a demonstrat că sistemele cu aer abraziv îndepărtează eficient placa. Cu toate acestea, dacă setările apei sunt prea ridicate, presiunea poate provoca disconfort suplimentar [19]. Pudra pe bază de eritritol are particule mai mici și pare să demonstreze o rată de acceptare mai bună din partea pacienților [20]. Prin urmare, GBT, reprezentând îndepărtarea plăcii ghidate cu ajutorul agenților de evidențiere, folosind pudră blândă cu apă caldă, ar putea îmbunătăți semnificativ percepția pacienților și tehnicile stomatologilor.

8-10. Caz clinic OLP: aspectul la prezentare (fig. 8); evidențierea plăcii bacteriene (fig. 9); aspect imediat după GBT (fig. 10).

Figura:
: aspectul la prezentare (fig. 5); evidențierea plăcii bacteriene (fig. 6); aspect imediat după GBT (fig. 7).
Figura:

7 Keys for Treatment of Periodontal Intrabony Defects by Robert A. Levine, DDS; Debora Reis Dias, DDS, MSc; Muhammad H.A. Saleh, BDS, MS, MSD; Jeffrey Ganeles, DMD; and Maurício G. Araújo, DDS, MSc, PhD. Originally published in Compendium of Continuing Education in Dentistry 44(4) April 2023. ©2023 AEGIS Publications, LLC. All rights reserved. Reprinted with permission of the publishers.

7 soluții pentru tratamentul defectelor intraosoase parodontale

Despre autori:

Robert A. Levine, DDS

Clinical Professor, Periodontology and Implantology, Kornberg School of Dentistry, Temple University, Philadelphia, Pennsylvania; Private Practice, Pennsylvania Center for Dental Implants and Periodontics, Philadelphia, Pennsylvania

Debora R. Dias, DDS, MSc

PhD Candidate, State University of Maringá, Maringá, Paraná, Brazil

Muhammad H.A. Saleh, BDS, MS, MSD

Clinical Assistant Professor, Periodontics and Oral Medicine, University of Michigan School of Dentistry, Ann Arbor, Michigan

Jeffrey Ganeles, DMD

Adjunct Associate Professor, Nova Southeastern University College of Dental Medicine, Fort Lauderdale, Florida; Private Practice in Periodontics and Implant Dentistry, Boca Raton, Florida

Maurício G. Araújo, DDS, MSc, PhD

Associate Professor, State University of Maringá, Maringá, Paraná, Brazil; Private Practice in Dental Implants and Periodontics, Rio de Janeiro, Rio de Janeiro; Brazil

Cele șapte soluții pentru regenerarea parodontală cu succes a defectelor intraoase prezentate, încorporează o planificare a tratamentului și un protocol chirurgical bazat pe dovezi în vederea obținerii unor rezultate previzibile. Un raport de caz demonstrează aplicarea acestora.

Regenerarea defectelor parodontale are ca scop îmbunătățirea rezultatelor clinice pe termen scurt și lung ale dinților cu pierdere osoasă parodontală. Adevărata regenerare include formarea de cement, ligament parodontal și os alveolar. Pungile parodontale semnificative asociate cu defecte intraosoase profunde sunt considerate o provocare clinică și o cauză principală a pierderii dinților pentru pacienții supuși întreținerii parodontale. Defectele parodontale intraosoase (cunoscute și sub denumirea de defecte verticale sau angulare) sunt definite ca sechele anatomice ale progresiei parodontitei, observate atunci când baza defectului este poziționată apical față

de creasta alveolară interdentară și este înconjurată de unul, doi sau trei pereți osoși. Interacțiunea complexă a defectelor intraosoase profunde, pierderea asociată a atașamentului parodontal, prezența pungilor profunde și mobilitatea dentară posibil asociată scad semnificativ prognosticul dintelui. Dacă dintele afectat este un molar, tratamentul crește în complexitate, cu multiple complicații adăugate, cum ar fi afectarea furcației, înălțimea trunchiului radicular și accesabilitatea pentru procedurile de igienizare. Prin urmare, regenerarea unor astfel de defecte poate schimba prognosticul dentar de la nesigur la acceptabil sau favorabil.

Terapiile regenerative se pot utiliza pentru a obține o îmbunătățire clinică dincolo de cea dobândită prin intervenția chirurgicală cu lambou. În general, intenția procedurilor de regenerare este dublă: recâștigarea unei porțiuni considerabile din aparatul de atașament pierdut și reducerea adâncimii pungii. În mod ideal, aceste obiective ar trebui atinse

Enhanced diagnostics with a wide field of view

Expand your treatment offerings with 3D imaging

The ORTHOPANTOMOGRAPH™ OP 3D™ EX is tailored for general practitioners, offering high-quality diagnostic images, quick scan times*, and customizable field-of-view sizes.

Providing all the tools necessary for digital dentistry, this system helps you enhance and broaden your practice.

fără o accentuare prea mare a recesiei gingivale. Este de remarcat faptul că diferite studii privind abordările regenerative au arătat o mare variabilitate a rezultatelor clinice, atribuită de obicei factorilor sistemici și locali. Interesant este că un anumit grad de variabilitate a rezultatelor clinice, numit „efectul central”, poate rezulta din diferențele dintre grupul de pacienți înscriși și/sau capacitatea chirurgicală a clinicianului, eficacitatea terapiei etiologice anterioare și programele de îngrijire parodontală de susținere.

Mulți factori pot afecta predictibilitatea unei proceduri de regenerare. De exemplu, fumatul, numărul de pereți care cuprind defectul, mobilitatea dinților, complianța pacientului și lățimea, adâncimea și morfologia defectului au fost toate corelate cu rezultatele diferitelor abordări regenerative. Deși sensibilă la tehnică, regenerarea parodontală pare să fie eficientă în tratarea defectelor intraosoase, fie ele profunde sau superficiale, late sau înguste. Obținerea succesului complet în regenerarea parodontală este o provocare, ceea ce autorii consideră că se poate atribui în principal evaluării incomplete a riscului, utilizării unor abordări și materiale chirurgicale inadecvate și experienței clinice insuficiente.

Utilizarea unei liste de verificare în practica clinică îi poate ajuta pe clinicieni să evite complicațiile neașteptate. De exemplu, autorii au propus o listă de verificare cu 10 chei pentru plasarea imediată a implantului în locațiile estetice pentru a obține rezultate previzibile. S-a demonstrat că utilizarea listelor de verificare ajută la evitarea complicațiilor în medicină, stomatologie și chirurgie deopotrivă. Scopul acestui articol este de a descrie șapte soluții esențiale pentru efectuarea regenerării parodontale în cazul defectelor intraosoase cu rezultate de succes pe termen lung (tabelul 1). Această abordare clinică secvențială, solidă din punct de vede-

Tabelul 1

Lista de verificare cu cele 7 chei pentru tratamentul defectelor parodontale intraosoase

(1) Evaluarea riscului pentru regenerarea parodontală a defectului intraosos: factori legați de pacient, condițiile dentare, morfologia defectului și factorii legați de operator.

(2) Pregătirea chirurgicală: managementul locațiilor pozitive pentru sângerarea la sondare, mobilitate sau cu necesitatea terapiei endodontice; eliminarea plăcii și terapia parodontală asistată de laserul Nd:YAG recomandată în ziua intervenției chirurgicale.

(3) Accesul chirurgical: minim invaziv cu lambouri cu grosime totală și prezervarea papilei.

(4) Pregătirea și condiționarea radiculară: îndepărtarea completă a țesuturilor de granulație, detartraj și planare radiculară cu utilizarea instrumentarului manual/anselor ultrasonice sau a frezelor necanelate de lungime chirurgicală ori a celor diamantate fine, alături de folosirea gelului cu EDTA 24% pentru îndepărtarea smear layer-ului.

(5) Terapia combinată: utilizarea de grefe osoase (FDBA sau DBBM) + agenți biologici (rh-PDGF sau EMD) + membrane de colagen nereticulate personalizate (îmbibate în factori de creștere) și/sau membrană amnio-corionică.

(6) Închiderea primară a lamboului: stabilă, fără tensiune obținută prin utilizarea inciziei și a suturilor de eliberare a periostului; suturi 5-0/6-0 neresorbabile / lent resorbabile lăsate în poziție timp de 4-6 săptămâni.

(7) Protocolul postoperator: tratament parodontal suportiv strict la intervale de 2-3 săptămâni în primele 3 luni (lustruire și controlul plăcii) și monitorizare pe termen lung. DBBM = mineral osos bovin deproteinizat, EDTA = acid dietilendiaminotetraacetic, FDBA = alogrefă osoasă liofilizată, Nd:YAG = laser ytriu-aluminiu-garnet dopat cu neodim, rh-PDGF-BB = factor de creștere recombinant uman derivat din trombocite-BB

re științific, poate fi utilizată pentru a ajuta la construirea și realizarea unei strategii de optimizare a rezultatelor clinice la diferiți pacienți cu anatomii diferite ale defectelor.

CHEIA NR. 1: EVALUAREA

RISCULUI DE REGENERARE

PARODONTALĂ PENTRU

DEFECTELE INTRAOSOASE

Succesul procedurilor regenerative în defectele intraosoase începe cu o abordare cuprinzătoare a selecției cazurilor. Pe baza arborilor de decizie prezentați, autorii propun o evaluare a riscului de regenerare parodontală pentru a ajuta clinicienii să identifice factorii legați de pacient, dinți, defecte și de operator, care ar putea influența probabilitatea obținerii unor rezultate de succes atunci când efectuează proceduri regenerative (tabelul 2). Pe baza aspectelor specifice observate în evaluarea riscului, clinicianul trebuie să selecteze abordarea optimă de tratament, inclusiv

proiectarea inciziei, extensia lamboului și biomaterialele, respectând limitările fiecărui caz. Această fază este esențială pentru a alinia așteptările pacientului cu predictibilitatea tratamentului. Locațiile de tratament cu risc ridicat trebuie discutate amănunțit cu pacientul. În cazul prezentat, un pacient de sex masculin sănătos, nefumător, în vârstă de 56 ani, diagnosticat cu parodontită stadiul III, localizată, gradul B, se afla în îngrijirea unui cabinet privat de parodontologie (RAL) de 25 ani. El avea un istoric de complianță bună cu tratamentul său (scor de placă global <20%). În timpul pandemiei de COVID-19, pacientul a omis trei vizite de terapie parodontală de susținere (supportive periodontal therapy, SPT) pe parcursul unui an, ceea ce a dus la o deteriorare parodontală interproximală între dinții nr. 36 și 37 (molarul secund și prim mandibular stâng). La cea mai recentă ședință de întreținere parodontală, s-a observat creșterea semnificativă a adâncimii

The right way to the apex

Realizați 150 de tratamente de canal cu o încărcare completă*

X-Smart® Apex Locator

Apex locator de nouă generație, aceeași acuratețe consacrată*

Apex locatorul X-Smart® oferă o acuratețe de înaltă precizie datorită tehnologiei de măsurare patentate, interfeței ușor de utilizat prin intermediul ecranului tactil și semnalelor sonore și vizuale pentru un ghidaj mai bun în timpul procedurilor de tratament.

*Internal data on file. Pentru mai multe informații, contactați Consumables-Data-Requests@dentsplysirona.com ©2024 Dentsply Sirona, Inc. All rights reserved.

Tabelul 2

Evaluarea riscului de regenerare parodontală a pacientului pentru defectele intraosoase RISC REDUS RISC MEDIU RISC CRESCUT

FACTORI

LEGAȚI DE PACIENT

FACTORI

LEGAȚI DE DINTE

Stare medicală Sănătos, vindecare lipsită de evenimente - Vindecare compromisă

Obiceiul fumatului

Controlul plăcii

Complianța pacientului cu SPT

Așteptările pacientului

Prognosticul parodontal specific locației pe baza PRS

Trauma ocluzală / managementul mobilității

Stare endodontică

Starea suprafeței radiculare

Nefumător

FMPS≤ 15%

Realist

Dependență ușoară (≤ 10 țigarete/zi)

FMPS 16%-24%

Controlabil

Vital, defectul parodontal neafectând apexul; tratament endodontic adecvat

Anatomia țesutului moale Țesut moale intact

Fenotipul gingival: GT și KTW Gros

FACTORI

LEGAȚI DE DEFECT

FACTORI

LEGAȚI DE OPERATOR

Tratamentele endodontice existente trebuie atent evaluate

Dependență severă (> 10 țigarete/zi)

Necontrolabil

Necontrolabil

Vitalitate, defectul parodontal implicând apexul; tratament endodontic inadecvat; non-vital

2 rădăcini fuzionate

Defecte de țesut moale

Gros cu lățimea benzii de KTW ≥ 2 mm

Anatomia defectului 3 pereți, îngust, profund 2 pereți

Implicarea furcației Fără

Clasa I sau II

Igienizabil prin accesul chirurgical? Da Regiunea anterioară Da Regiunea posterioară

Defect conținut? Da; 1-2 laturi radiculare implicate

Nivelul experienței Experimentat

Nivelul factorilor de stres ambiental Redus Mediu

Utilizarea listei de verificare? Da

Subțire cu sau fără o bandă îngustă de KTW

1 perete, lat, superficial

Nu; ≥ 3 laturi ale rădăcinii implicate

Începător

Crescut

FMPS = scor de placă global, GT = grosime gingivală, KTW = lățimea țesutului keratinizat, PRS = scorul riscului parodontal, SPT = terapie parodontală suportivă. Factorii de risc evidențiați prin îngroșare (bold) reprezintă pacientul din cazul de față prezentat.

de sondare parodontală de până la 10 mm cu sângerare la sondare (fig. 1-3). Radiografia periapicală a evidențiat un defect intraosos profund, îngust, cu trei pereți pe versantul distal al dintelui nr. 36 și afectarea furcației vestibulare de clasa I (fig. 4). Conform scorului de risc parodontal (periodontal risk score, PRS), cunoscut anterior ca indice de prognostic parodontal Miller-McEntire, prognosticul dentar la examinarea inițială a pacientului a fost „bun” (scor = 5), ținând cont de faptul că acesta nu cunoștea nivelurile sale de hemoglobină A1c (HbA1c). Acest scor a motivat pacientul să fie testat, iar HbA1c de monitorizare a fost <6%, reducându-și astfel PRS la 3, ceea ce a fost considerat

„excelent”, deoarece obiectivul țintă al PRS pentru procedurile regenerative este un scor <5.

Dintele nr. 36 nu prezenta mobilitate și a fost testat endodontic vital. Anatomia țesuturilor moi era intactă, cu o lățime a țesutului cheratinizat >2 mm. Operatorul era experimentat, fără stres ambiental și a utilizat liste de verificare. Astfel, pe baza evaluării riscului prechirurgical, pacientul a prezentat un risc scăzut-mediu pentru terapia regenerativă parodontală (tabelul 2)

CHEIA NR. 2: PREGĂTIREA CHIRURGICALĂ

Înainte de o procedură chirurgicală

regenerativă intraosoasă specifică locului, regiunile cu sângerare la sondare ar trebui gestionate prin educație pentru controlul plăcii și detartraj parodontal complet și debridarea rădăcinii. Detartrajul și planarea radiculară trebuie efectuate numai supragingival în locurile care urmează să fie tratate regenerativ, evitând instrumentarea subgingivală în locațiile chirurgicale planificate. Evaluarea și educarea controlului biofilmului trebuie revizuite împreună cu pacientul. Înaintea tratamentului chirurgical dinții cu mobilitate Miller de gradul II sau gradul III trebuie să fie imobilizați și/sau ajustați ocluzal în toate deplasările, protruzive și nefuncționale. Dinții vitali trebuie

Clasa a III-a

VistaScan-Family – Plug into

VistaScan Ultra View: Pur și simplu inteligent și de două ori mai eficient la capacitate maximă.

VistaScan Mini View 2.0: Revoluţionar, inteligent si actual.

VistaScan Mini Easy 2.0: Scanare rapidă și ușoară cu o calitate excelentă a imaginii.

Schimbă vechiul tău senzor, scanner sau aparat de developare cu cel mai bun scanner Dürr Dental pentru o imagine digitală excelentă!

Figurile:

1. Dintele nr. 36 la prezentare, vedere vestibulară.

2. Dintele nr. 36 la prezentare, vedere ocluzală. Se observă grosimea țesutului moale și lățimea țesutului keratinizat.

3. Adâncimea de sondare distală de 10 mm la dintele nr. 36.

4. Rx periapicală care evidențiază un defect intraosos distal de dintele nr. 36.

5. Accesul chirurgical și pregătirea rădăcinilor. Lambourile au fost ridicate după ce s-au făcut incizii intrasulculare, alături de o incizie de eliberare pe aspectul mezial al dintelui nr. 36. A fost îndepărtat țesutul de granulație.

6. Defect intraosos cu adâncimea de 5 mm distal de dintele nr. 36.

7. Condiționarea rădăcinilor folosind un gel care conținea EDTA 24%.

Figurile:

8, 9. Terapie combinată în care rhPDGF-BB a fost combinat cu FDBA (fig. 8) și împachetat în defectul osos (fig. 9).

10, 11. Terapia combinată a inclus utilizarea unei membrane amniotice, care a fost personalizată (fig. 10) și plasată peste aspectul interproximal al defectului osos (fig. 11).

12. Fotografia postoperatorie imediată. Suturile dublu întrerupte 5-0 lent resorbabile au fost lăsate timp de 4 săptămâni. Adezivul tisular pe bază de cianoacrilat a fost folosit pentru a închide incizia de eliberare.

13. Stabilitatea țesuturilor moi la controlul după 1 an.

14. Rx periapicală care evidențiază osul vindecat la controlul de 1 an.

menținuți vitali dacă defectul parodontal nu implică apexul. Terapiile endodontice existente trebuie evaluate cu atenție. Dinții nevitali trebuie tratați cu succes, iar tratamentele endodontice inadecvate trebuie refăcute cu evaluare și management corespunzător.

Orice depozite bacteriene rămase în jurul dintelui în cauză trebuie îndepărtate în ziua intervenției chirurgicale. Utilizarea adjuvantă a terapiei de regenerare asistată cu laser poate steriliza eficient zona pungii subgingivale până la adâncimea defectului intraosos. Deși controversate în literatură, antibioticele pot fi utilizate prin prescrierea unei doze de încărcare (2g de amoxicilină) pentru a preveni infecțiile postoperatorii și, astfel, pentru a reduce complicațiile postoperatorii.

CHEIA NR. 3: ACCES CHIRURGICAL

Atunci când se planifică o procedură regenerativă, trebuie îndeplinite o serie de cerințe generale pentru rezultate de succes, inclusiv crearea unui spațiu suficient pentru a susține un cheag de sânge, precum și o protecție stabilă și imobilă a țesuturilor moi în zona tratată pentru a evita contaminarea bacteriană. Designul optim al lamboului pentru a accesa defectele intraosoase trebuie să permită închiderea primară pasivă. Stabilitatea plăgii este obținută printr-un management adecvat al țesuturilor moi și prin stabilitatea dinților adiacenți (imobili).

Lambourile de conservare a papilei sunt largi și mobile pentru a permite vizibilitatea clară a zonei defectului, aplicarea ușoară a biomaterialelor/ membranelor barieră și închiderea primară pasivă a lamboului, păstrând în același timp papila interdentară. Au fost sugerate mai multe tehnici minim invazive care utilizează microscoapele operatorii și instrumente microchirurgicale. Aceste tehnici ridică minim țesu-

turile pentru a reduce traumatismele chirurgicale și pentru a crește stabilitatea lamboului. Prin urmare, abordarea chirurgicală trebuie aleasă în funcție de morfologia și extensia defectului. Deși tehnicile minim invazive ar putea oferi o mai bună stabilitate a țesuturilor, în unele cazuri este necesar un lambou mare (de exemplu, defecte profunde care implică trei sau mai multe laturi ale rădăcinii).

În cazul de față s-au efectuat incizii intrasulculare, urmate de o incizie de eliberare pe versantul mezial al dintelui nr. 36. S-a elevat un lambou cu grosime totală pe suprafața vestibulară și orală (fig. 5, 6) folosind un elevator periostal minim invaziv. Regiunea s-a gestionat cu atenție pentru a evita contaminarea salivară.

CHEIA NR. 4: PREGĂTIREA

ȘI CONDIȚIONAREA

RĂDĂCINILOR

Pentru a crește rata de succes a procedurilor de regenerare, se recomandă pregătirea și modificarea rădăcinii. După ridicarea lamboului, primul pas constă în îndepărtarea țesuturilor de granulație folosind instrumente manuale, ultrasonice și/sau rotative. Se folosește o piesă de mână de mare viteză cu o freză pentru detartraj de lungime chirurgicală sau o freză diamantată fină pentru preparare dentară sub irigare abundentă și se realizează debridarea eficientă a leziunii. Îndepărtarea cu grijă a tuturor depunerilor dure și moi de pe suprafața rădăcinii și a oricărei suprafețe de cement afectată clinic este esențială pentru obținerea succesului. Deși este controversată, îndepărtarea stratului de smear layer și expunerea fibrelor de colagen prin utilizarea soluțiilor pentru condiționarea radiculară, cum ar fi gelul cu acid etilendiaminotetraacetic (EDTA) 24%, ar putea crește aderența celulară și ar putea prezenta beneficii

clinice, inclusiv vizualizare crescută și hemostază mai bună.

În cazul de față, rădăcina dintelui nr. 36 a fost preparată folosind un dispozitiv piezoelectric pentru detartraj și freze necanelate cu lungime chirurgicală pentru a îndepărta țesuturile de granulație și orice depozit de placă/tartru de pe suprafața rădăcinii. Condiționarea rădăcinilor a fost efectuată prin aplicarea gelului cu conținut de EDTA 24% timp de 2 minute, urmată de irigare copioasă cu soluție salină sterilă (fig. 7).

CHEIA NR.

5: AMPLASAREA

BIOMATERIALELOR REGENERATIVE (TERAPIE COMBINATĂ)

Regenerarea țesuturilor se bazează pe trei componente cheie, adesea denumite „triada de regenerare”: celule, schele (de exemplu, grefe osoase) și molecule de semnalizare (precum factorii de creștere). Dacă sunt întrunite condițiile unei vascularizări suficiente, stabilitatea plăgii și timpul, aceste componente joacă un rol imperativ în regenerarea țesuturilor. Diferite recenzii sistematice au arătat că terapiile combinate, adică grefele osoase, membranele barieră și/sau agenții biologici, ar trebui utilizate pentru tratamentul pungilor reziduale cu defecte intraosoase profunde (≥3 mm).

Utilizarea agenților biologici, precum proteinele sau factorii de creștere, este susținută de o multitudine de studii din literatura de specialitate. Introducerea factorilor de creștere a marcat o nouă eră în regenerarea parodontală. Derivatul matricei smalțului, de exemplu, constă dintr-un amestec heterogen de proteine care conține în principal amelogenine. O altă citokină bine studiată, dovedită clinic și histologic pentru regenerarea parodontală este factorul de creștere uman recombinant derivat din trombocite-BB (rhPD-

Timp: Variabil*

Amprentă: Perfectă

*timp de lucru variabil: 1:00 –2:30 min.

GF-BB). În combinație cu o schelă osteoconductivă, s-a demonstrat că acest factor de creștere augmentează semnificativ nivelul de atașament clinic, reduce recesia gingivală și îmbunătățește umplerea osoasă și rezoluția defectelor în comparație cu controlul pozitiv. Studiile histologice umane au demonstrat formarea de os nou, cement și ligament parodontal atunci când rhPDGF-BB a fost utilizat cu orice tip de grefă osoasă, inclusiv cu alogrefă osoasă mineralizată liofilizată (FDBA), FDBA demineralizată, fosfat tricalcic sau minerale osoase bovine deproteinizate, fie în defecte intraosoase, fie în defecte de furcație. În cele din urmă, o recenzie sistematică recentă a arătat că eficacitatea rhPDGF-BB în combinație cu grefele osoase nu s-a asociat cu niciun efect advers. Adăugarea de membrane barieră este fundamentală în defectele mari și neconținute pentru a menține grefa osoasă în poziție. Având în vedere morbiditatea postoperatorie mai mare și incidența complicațiilor la utilizarea membranelor barieră neresorbabile, membranele resorbabile ar trebui să fie prima alegere, deoarece se vor combina cu o grefă osoasă și se vor comporta ca o schelă. Se recomandă membrane de colagen nereticulate.

În cazul de față, rhPDGF-BB a fost utilizat în combinație cu FBDA, fiind ferm ambalat în defectul intraosos (fig. 8, 9). S-a utilizat o membrană amnio-corionică individualizată și adaptată peste defectul osos (fig. 10, 11).

CHEIA NR. 6: ÎNCHIDEREA PRIMARĂ A LAMBOULUI

Regenerarea reușită necesită închiderea primară a lamboului fără tensiune pe întreaga zonă chirurgicală. După cum s-a menționat anterior, lambourile de conservare a papilei și tehnicile microchirurgicale ajută la îmbunătățirea esteticii, menținând în același timp închiderea primară

a lamboului și sporind capacitatea de a crea spațiul pentru regenerare în zona interdentară. Expunerea membranelor barieră este cea mai frecventă complicație în procedurile regenerative; astfel, managementul lamboului este esențial în prevenirea rezultatelor nereușite. Un alt factor care poate permite menținerea închiderii primare constă în respectarea principiilor minim invazive. Într-o recenzie sistematică recentă, s-a constatat că tehnicile microchirurgicale îmbunătățesc semnificativ rezultatele chirurgicale plastice parodontale și recuperarea postchirurgicală. Prin urmare, inciziile de eliberare a periostului ar trebui efectuate pentru a obține o închidere a lamboului fără tensiune. În plus, datorită dimensiunii mari a papilei, o sutură orizontală în saltea, combinată cu suturi întrerupte poate furniza o mai bună stabilitate a lamboului. Tipurile de suturi recomandate includ politetrafluoretilena de înaltă densitate (d-PTFE) sau cu resorbție lentă, care ar trebui lăsate timp de cel puțin 4 săptămâni, cu excepția cazului în care se slăbesc, când trebuie îndepărtate mai devreme. La pacientul de față, închiderea stabilă și fără tensiune a lamboului a fost realizată prin utilizarea de incizii și suturi care eliberează periostul. Suturile 5-0 lent resorbabile au fost lăsate în poziție timp de 4 săptămâni (fig. 12).

CHEIA NR. 7: PROTOCOLUL POSTOPERATOR

Postchirurgical, controlul eficient al biofilmului supragingival și subgingival efectuat prin mijloace mecanice (de exemplu, instrumente de mână și/sau detartraj cu ultrasunete), dispozitive de lustruire cu aeropropulsie sau alte mijloace chimice (de exemplu, antiseptice) s-a dovedit a fi o componentă principală a succesului în tratamentul regenerativ, în special în pungile parodontale mai profunde. Rezultatele tratamentului

pot fi menținute pe termen lung numai cu SPT constant. Regimurile mecanice și antiseptice cuprinzătoare au fost de obicei raportate în studiile privind terapia regenerativă. Deși durata și frecvența ședințelor de întreținere au variat foarte mult pe parcursul studiilor de regenerare, în general s-a recomandat un interval de recall de două sau mai multe ședințe lunare în primele 3 luni. De fapt, unele studii au sugerat programarea săptămânală a pacienților pentru întreținere și monitorizare, cel puțin în primele luni după operație. În cazul de față, protocolul postoperator al pacientului a inclus administrarea de analgezice și folosirea apei de gură. Controlul plăcii și lustruirea au fost efectuate la fiecare 2-3 săptămâni în primele 3 luni. Pacientul a fost apoi supus unei scheme de întreținere la intervale de 3 luni. La vizita de monitorizare după 1 an s-a putut observa stabilitatea țesuturilor moi și dure (fig. 13, 14). În urma listei de verificare cu cele șapte chei, acest caz clinic a demonstrat că selecția corectă a cazului, ținând cont de factorii legați de pacient, dinte, defect și operator, combinată cu utilizarea unui protocol chirurgical bazat pe dovezi, a condus la o rezultate previzibile.

CONCLUZII

Având în vedere creșterea speranței de viață și incidența mare a bolilor periimplantare, în special la pacienții cu afecțiuni parodontale, intervențiile pentru salvarea dinților și creșterea prognosticului acestora, precum procedurile regenerative, trebuie efectuate cu o predictibilitate ridicată. Lista de verificare cu cele „7 chei” pentru regenerarea parodontală reușită a defectelor intraosoase se dorește a fi un ghid pentru clinicieni în planificarea tratamentului și în execuția procedurilor regenerative. Fiecare cheie descrisă este esențială pentru a obține un rezultat previzibil pe termen lung.

G-ænial™ Universal Injectable Compozit pentru restaurare cu rezistență ridicată

Transformati-vă modul de lucru Modelați și conturați pe măsură ce injectați

Duritate excepțională și rezistență la abraziune

Restaurări de lungă durată cu o retenție excepțională a luciului

Vârf flexibil

Acces ușor și adaptare perfectă în toate unghiurile cavității

Indicații universale

Aplicare rapidă, manipulare și estetică excepționale, pentru toate tipurile de cavități (I-V)

GC EUROPE N.V. Reprezentanță în România info.romania@gc.dental https://www.gc.dental/europe/ro-RO

Innovative Staged Treatment of a Dentition Worn From the Effects of GERD and Occlusal Dysfunction by Dana G. Colson, DDS, MBA. Originally published in Compendium of Continuing Education in Dentistry 44(3) March 2023. ©2023 AEGIS Publications, LLC. All rights reserved.

Reprinted with permission of the publishers.

Tratament inovator etapizat pentru o dentiție uzată din cauza efectelor GERD și a disfuncției ocluzale

Despre autor:

Dana G. Colson, DDS, MBA Creator of Wellness Based Dentistry™️; Private Practice, Toronto, Ontario, Canada; Mentor, Kois Center; Fellow, Academy of General Dentistry; Accredited Member, International Academy of Oral Medicine and Toxicology; Fellow, American Academy of Clear Aligners; Author,Your Mouth, the Gateway to a Healthier You

Recunoaștere:

The author thanks dentalstudiosBurlington (Burlington, Ontario, Canada) for the talent and artistry it provided, and its president, Trevor Laingchild, RDT, AAACD, for his exceptional creation of this case; John C. Kois, DMD, MSD, for his teaching on the art of restoring occlusion; and Susan A. Sheets, DDS, and Matthew West, DMD, for their guidance and encouragement to manifest this article.

SSchimbări extreme în dentiția unui adult pot apărea rapid atunci când se combină mai mulți factori de risc. În cazul prezentat, dentiția pacientului de sex masculin s-a deteriorat dramatic pe durata unei perioade de 8 ani, în mare parte din cauza bolii de reflux gastroesofagian și a bruxismului diurn. A survenit o pierdere semnificativă a smalțului și dentinei, iar dinții laterali maxilari ai pacientului s-au deplasat, în pofida unui parodonțiu sănătos.

Acest caz a prezentat provocări semnificative, deoarece, în pofida necesității urgente de a proteja vitalitatea dinților posteriori de eroziunea severă continuă, s-a impus etapizarea tratamentului din cauza nevoii pacientului de a călători în afara țării. S-a folosit un deprogramator Kois pentru a stabili o poziție de referință ortopedică diferită de intercuspidația maximă (maximum intercuspation, MIP), iar această poziție de referință a fost punctul

de plecare pentru deciziile de planificare funcțională a tratamentului. Un wax-up diagnostic folosind această poziție de referință a servit drept plan pentru a oferi un tratament cu rezultate previzibile. După ce s-a verificat dimensiunea verticală și o poziție ocluzală reproductibilă, s-a stabilit ocluzia posterioară. S-a recurs apoi la un tratament ortodontic limitat pentru a repoziționa dinții anteriori în vederea păstrării a cât mai mult din structura dentară înainte de prepararea completă a coroanelor frontale și pentru a ajuta la centrarea liniilor mediane ale arcadelor. Această secvență terapeutică modificată poate fi o opțiune pentru alte cazuri care necesită etapizare din cauza călătoriilor pacientului sau a limitărilor financiare.

PREZENTAREA GENERALĂ A CAZULUI CLINIC

Consecințele severe ale bruxismului în stare de veghe și ale GERD asupra dentiției unui bărbat de vârstă

Pachet Piese 02

Pachet Piese 04

Pachet Piese

mijlocie au fost destul de evidente în cazul de față. Un bărbat în vârstă de 69 ani s-a prezentat inițial la cabinet în 2009 pentru un examen complet, dar nu a revenit imediat pentru tratament. S-a întors abia 8 ani mai târziu, având ca preocupări principale durerea de la nivelul molarului mandibular stâng (dintele nr. 37) și dorința de a-și îmbunătăți ocluzia. El a raportat sensibilitate musculară, în pofida faptului că purta un retainer termoplastic pe timpul nopții și al exercițiilor fizice. Eroziunea severă generalizată și uzura erau evidente. Dinții nr. 12 și 22 se deplasaseră, deși prezentau un suport osos bun.După ce a experimentat durerea dentară și a vizualizat dovezile fotografice ale uzurii și distrugerii dinților pe parcursul ultimilor 8 ani, care i-au fost prezentate în acel moment, pacientul a devenit motivat să urmeze un plan de tratament cuprinzător pentru a aborda cauzele de bază ale problemelor. Planul de tratament a fost segmentat pentru a se adapta programului său extins de călătorii.

ISTORICUL MEDICAL ȘI STOMATOLOGIC

Pacientul a fost clasificat ca fiind ASA II (American Society of Anesthesiologists, ASA). Era sub tratament cu apixaban, un anticoagulant pentru fibrilație atrială și a raportat o tulburare a prostatei. În urma interogării, a dezvăluit că folosește un aparat CPAP (cu presiune pozitivă continuă în căile respiratorii) în fiecare noapte și că experimentase reflux gastric, care s-a diminuat după ce a început să folosească dispozitivul CPAP.

Istoricul stomatologic includea teama de tratamentele dentare, un istoric de dinți fracturați, dureri dentare (nr. 36) și/sau obturații fisurate, retenție alimentară interdentar, conștientizarea faptului că dinții lui s-au schimbat în ultimii 5 ani, precum și utilizarea în trecut a unei

gutiere. Se simțea nesigur în privința aspectului dinților săi și acuza lipsă de confort ocluzal, conștientizând bruxismul diurn.

DIAGNOSTIC, EVALUAREA RISCURILOR ȘI PROGNOSTIC

Parodontal. Examinarea parodontală a relevat o pierdere generalizată a atașamentului clinic, dar fără pungi mai adânci de 3 mm, fără sângerare la sondare și fără mobilități dentare semnificative. Era prezentă o gingie atașată adecvată la toți dinții. Îngrijirea orală la domiciliu era acceptabilă. S-a observat pierderea generalizată a țesutului și a osului pe suprafețele vestibulare ale dinților posteriori. Boala parodontală a fost clasificată ca fiind de stadiul II, generalizată, gradul A, pe baza pierderii osoase radiografice de peste 2 mm, dar mai puțin de 4 mm interdentar, și a comparațiilor nivelului osos interdentar între cele două radiografii panoramice realizate la interval de 8 ani.

Risc: moderat.

Prognostic: favorabil.

Biomecanic. Pierderea semnificativă a structurii dentare a avut loc între 2009 și 2017 (fig. 1). S-a observat o uzură severă la dinții frontali, în special la dintele nr. 23. Eroziunea și abraziunea severă era prezentă la dinții nr. 23, 36, 35, 34, 44, 45, 47 și 48 (fig. 2, 3). Pacientul manifesta o sensibilitate generalizată, iar dintele nr. 37 era dureros din cauza eroziunii profunde, care se apropia de camera pulpară. Dinții nr. 12 și 22 se deplasaseră și se rotiseră din poziția inițială. Progresia eroziunii pe parcursul perioadei de 8 ani a fost evidentă și radiografic, fiind vizibilă în special la dintele nr. 37 (fig. 4, 5). Rășinile ocluzale au fost pierdute la molarii mandibulari, iar eroziunea și abraziunea cauzate de coroanele antagoniste au continuat să erodeze structura dentară.

Risc: ridicat. Prognostic: slab.

Funcțional. S-a observat uzură la dinții care nu erau protejați cu coroane cu acoperire totală (fig. 2, 3). Deși a purtat un deprogramator Kois timp de aproximativ 1 lună înainte de tratamentul restaurator, dinții mandibulari au creat un defect în platforma deprogramatorului, confirmând bruxismul și posibilitatea unui control cortical afectat al generatorului de tipare centrale (fig. 6). S-au verificat toate variabilele platformei, urmându-se designul corect al deprogramatorului Kois. (Defectul din deprogramator a fost reparat, lăsându-se o suprafață netedă și plată pentru a permite determinarea poziției corecte a mandibulei.) Examinarea articulației temporomandibulare a relevat o deschidere normală, fără sunete articulare. Testele de încărcare și imobilizare au fost normale. Niciun mușchi, cu excepția maseterului, nu prezenta sensibilitate la palpare. Punctele trigger erau palpabile în mușchii maseteri, care erau hipertrofiați. Diagnosticul a fost stabilit ca disfuncție ocluzală, cu adăugarea bruxismului diurn. La întrebările suplimentare, pacientul a mărturisit că își încleșta dinții în timpul jocului de tenis zilnic, de care era foarte pasionat. Dovada că nu suferea de bruxism și noaptea era că dintele nr. 23 era extrem de cupat și nu aplatizat; în caz contrar, marginea incizală ar fi devenit plată din cauza mișcărilor laterale ale mandibulei.

Risc: ridicat. Prognostic: slab.

Dento-facial. Nu era prezentă o expunere gingivală în cursul zâmbetul Duchenne. Dinții nr. 12 până la 22 nu erau vizibili în repaus. Pacientul și-a exprimat dorința de a avea dinți mai albi și de a se simți mai încrezător când zâmbește.

Risc: scăzut. Prognostic: slab.

OBIECTIVELE TERAPEUTICE

Obiectivele tratamentului au fost de a crea un zâmbet estetic, de a preve -

ni distrugerea ulterioară a structurii dentare, de a ameliora disconfortul ocluzal și de a crește conștientizarea pacientului în privința bruxismului diurn. Pacientul urma să poarte o gutieră de zi în timpul activităților sportive și o gutieră de noapte pentru protecția dentară.

PLANUL DE TRATAMENT

Planul de tratament a fost structurat în șase etape. Prima etapă a implicat crearea unei poziții de referință reproductibile a mandibulei pentru a facilita planificarea și execuția creșterii dimensiunii verticale, dezvoltarea unei ocluzii funcționale și îmbunătățirea esteticii. A doua etapă presupunea tratamente parodontale și endodontice pentru a rezolva disconfortul de la nivelul dintelui nr. 36. A treia viza restaurarea dinților posteriori cu coroane din zirconiu la o nouă dimensiune verticală de ocluzie, lăsând o ocluzie deschisă frontală pentru a facilita deplasările ortodontice, dar stabilă. A patra etapă prevedea utilizarea aparatelor ortodontice de tip aligner transparent pentru a poziționa corect dinții anteriori. În a cincea etapă, dinții frontali urmau să fie restaurați cu coroane din disilicat de litiu. În etapa finală, protecția postoperatorie urma să fie asigurată prin utilizarea dispozitivelor de protecție pe termen lung pentru gestionarea obiceiurilor parafuncționale.

ETAPELE TRATAMENTULUI

Diagnostic și înregistrarea ocluziei

Au fost realizate toate înregistrările diagnostice necesare, incluzând fotografii intraorale; radiografii panoramice, cefalometrice și transcraniene; o scanare digitală și o înregistrare cu arcul facial. Pacientului i s-a prezentat un plan de tratament cuprinzător, pe care acesta l-a acceptat. Pacientul a primit îngrijire parodontală de rutină și a fost inclus

într-un program de reexaminare la fiecare 4 luni. I s-au oferit opțiuni de tratament pentru dintele nr. 36, iar el a ales tratamentul endodontic. Pacientul a purtat deprogramatorul Kois timp de 1 lună. După aceea, s-au realizat noi fotografii și modele. O înregistrare ocluzală a fost efectuată cu deprogramatorul menținut în poziție, la noua dimensiune verticală. Modelele au fost montate pe un articulator utilizând arcul facial. Înregistrările au fost trimise la laborator pentru un wax-up diagnostic. Fotografiile au fost folosite de laborator pentru a crea wax-up-ul.

Faza restauratorie inițială

Dinții posteriori maxilari au fost preparați pentru coroane integrale din zirconiu. Deprogramatorul a fost plasat intraoral, iar pe suprafețele orale ale dinților nr. 11 și 21 s-a adăugat compozit pentru a crea un stop centric și vertical la noua dimensiune verticală. Pe baza wax-up-ului s-a fabricat un ghid de preparare dentară utilizat pentru a minimiza îndepărtarea structurii dentare, obținând totodată reducerea necesară la nivelul ocluzal. După preparare, pe preparații s-a aplicat un agent adeziv autogravant în două etape și s-a

Figurile:

1. Linie mediană necentrată și rotația dinților nr. 12 și 22.

2, 3. Vedere ocluzală pre-tratament a arcadei maxilare (fig. 2) și mandibulare (fig. 3).

4. Rx panoramică din 2009.

5. Rx panoramică efectuată în 2017. Se remarcă eroziunea ocazională accentuată a dintelui nr. 36.

6. Deprogramator cu un defect în mijloc, rezultat din bruxismul conștient.

Vedere frontală a coroanelor de zirconiu posterioare.

8. Imagine post-tratament ortodontic, indicând o ocluzie și o linie mediană îmbunătățită.

9. Pacientul în repaus, post-tratament.

10. Ocluzia pacientului, posttratament.

11. Zâmbetul complet al pacientului, post-tratament.

7.

fotopolimerizat. S-a folosit un laser dentar pentru a crea margini vizibile supragingivale în vederea scanării digitale. Dinții au fost temporizați cu o rășină bis-GMA (bisfenol A-glicidimetacrilat) și cimentați cu un ciment temporar pe bază de oxid de zinc și eugenol. Pe molarii posteriori mandibulari s-a adăugat compozit pentru a crea o ocluzie posterioară solidă. După două săptămâni, coroanele maxilare din zirconiu au fost cimentate auto-adeziv după verificarea marginilor, a contactelor interproximale, a culorii și esteticii. Dinții preparați au fost microabrazați, apoi s-a aplicat și fotopolimerizat un agent bonding auto-adeziv într-o singură etapă. Coroanele au fost microabrazate, spălate și uscate. Primer-ul ceramic a fost aplicat timp de 1 minut pe fiecare coroană, iar cimentul auto-adeziv universal menționat anterior a fost dispus în fiecare coroană înainte de fixare. Excesul de ciment a fost îndepărtat. Ulterior, dinții posteriori mandibulari au fost preparați pentru coroane integrale din zirconiu, apoi s-au scanat și restaurat provizoriu, conform metodei descrise pentru arcada maxilară. Câteva săptămâni mai târziu, coroanele mandibulare au fost cimentate (fig. 7) cu același protocol utilizat maxilar. Ocluzia a fost echilibrată și verificată pentru a obține contacte egale, simultane și bilaterale.

ETAPA ORTODONTICĂ

O nouă scanare și noi fotografii au fost realizate și trimise la Invisalign cu scopul de a utiliza terapia ortodontică cu alignere transparente pentru a îndrepta dinții anteriori mandibulari și pentru a corecta linia mediană maxilară. De asemenea, o aliniere mai potrivită a dinților anteriori mandibulari urma să minimizeze reducerea dinților nr. 32 și 31 (fig. 7). Alignerele transparente au fost livrate înainte de plecarea pacientului pentru un sejur prelungit în afara țării.

Când pacientul a revenit după 7 luni, dinții anteriori erau mai bine aliniați, s-a creat un overjet, iar linia mediană era centrată (fig. 8). S-au finalizat preparațiile la dinții nr. 13 până la 25 și 33 până la 43 pentru coroanele din disilicat de litiu, dinții au fost scanați și temporizați. Restaurările provizorii au fost utilizate pentru a verifica dacă s-au obținut schimbările estetice dorite. În etapa restaurării provizorii s-a utilizat aceeași procedură în cabinet ca în cazul molarilor posteriori. S-a accentuat expunerea dinților anteriori cu 1 mm pentru a fi vizibili în repaus. S-a realizat o fotografie a bonturilor cu ghidul de nuanțe pentru laborator. Au fost făcute fotografii pentru comunicarea cu laboratorul, iar pacientul a mers la laborator pentru a personaliza nuanța. Trei săptămâni mai târziu, pacientul a revenit pentru procedurile de cimentare. După evaluarea clinică a contactelor proximale, integrității marginilor și aprobarea pacientului privind estetica și tiparele de vorbire, coroanele au fost cimentate. Incisivii maxilari prezentau o expunere plăcută în repaus (fig. 9). Aceleași protocoale de cimentare au fost utilizate ca în faza inițială de restaurare, cu excepția aplicării silanului pe suprafețele interne ale coroanelor. S-a verificat ocluzia, asigurându-se că nu există interferențe funcționale pe dinții anteriori (fig. 10). S-a folosit hârtie de articulație pentru a verifica contacte ocluzale centrice stabile în intercuspidația maximă pe dinții posteriori. Folosind folia ocluzală, s-au verificat relațiile cuspid-fosă cu cel puțin un contact stabil pentru fiecare dinte, iar hârtia albastră de 200 µm a fost utilizată pentru a verifica absența mișcărilor laterale atunci când pacientul era așezat la o înclinație de 45° în timpul masticației. O fotografie post-tratament completă a feței este afișată în fig. 11.

DISCUȚII

Diagnosticul precis a fost esențial și s-a folosit pentru a determina materialele potrivite pentru designul coroanelor posterioare și utilizarea aparatelor post-tratament pentru a asigura succesul pe termen lung. Interviul cu pacientul a fost crucial în acest caz, deoarece majoritatea răspunsurilor sale din formularul de istoric dentar au fost negative, iar informațiile importante au fost dezvăluite doar în timpul interviului. Pacientul a fost educat în mod repetat cu privire la necesitatea și importanța protecției dentare pe termen lung și a întreținerii. A fost creat un dispozitiv ocluzal nocturn, iar pacientul a solicitat o gutieră pentru sport, pentru a-și proteja dinții în timpul jocului de tenis. Pacientului i s-au oferit instrucțiuni cu privire la conștientizarea tendinței sale de bruxism. I s-a indicat să încerce să țină buzele apropiate dar cu dinții separați.

CONCLUZII

Acest caz ilustrează o abordare sistematică și previzibilă a reabilitării orale complete, adaptată nevoilor pacientului prin segmentarea tratamentului în funcție de călătoriile acestuia. Multe persoane se adaptează la deteriorarea treptată a sănătății dentare, adesea fără a fi conștiente de gravitate până când disconfortul necesită intervenție. Pentru acest pacient, teama de tratamente dentare a împiedicat inițial îngrijirea. Cu toate acestea, odată ce a înțeles amploarea daunelor dentare, a fost motivat să accepte tratamentul. Rezultatul final a fost primit cu satisfacție atât din partea pacientului, cât și a soției sale. Datorită riscurilor ridicate asociate cu obiceiurile parafuncționale, în special bruxismul, monitorizarea atentă a acestui caz este esențială.

Succesul este ușor pentru toată lumea

91% succes clinic după 2 ani Depășește ratele de succes menționate în literatură*

Sigilantul Dumneavoastră bioactiv pentru canalele radiculare

• Sigilant hidraulic, gata preparat, la seringă

• Fără contacție – bioactiv – biocompatibil – pH mare

• Indiferent de tehnica folosită, la rece sau la cald

* La 24 de luni după tratament, rata generală de eficacitate folosind criterii lejere a fost de 91,0% în grupul BrF și 90,4% în grupul BrRCS (p=0,0003) Rezultatele studiului clinic (Clinicaltrial.gov/NCT04757753) în prezent în curs de evaluare. Dispozitiv medical Clasa III - certificat de BSI (2797) în conformitate cu MDR/UE.

Vă rugăm accesați site-ul nostru pentru mai multe informații: www.septodont.ro

Turn static files into dynamic content formats.

Create a flipbook
Issuu converts static files into: digital portfolios, online yearbooks, online catalogs, digital photo albums and more. Sign up and create your flipbook.